Skip to main content

JIDA Science February March 2026

Page 1


EDITORIAL

JIDA Science welcomes international colleagues

CLINICAL FEATURE

Is periodontitis a risk factor for severe Covid-19 illness?

Ellen E. Irwin

Chris R. Irwin

QUIZ

John Macken 3 14 17 4 8 7 19

RESEARCH

How staff training can improve perceptions and knowledge on waste management in dentistry

Emma Carr

Sena Mamurekli

Lorna Murphy

CLINICAL TIPS

Digitally guided tooth reduction in the contemporary management of amelogenesis imperfecta

David McReynolds

Alexander Lichtmannegger MDT

Enrico Steger MDT

NEW DENTAL SCIENCE

Abstracts from the latest dental literature

RESEARCHER PROFILE

Bridging dentistry and medicine

Honorary Editor

Dr Cristiane da Mata BDS MFD (RCSI) Dip TLHE MPH Phd FFD RCSI journaleditor@irishdentalassoc.ie

Deputy Editor

Dr David McReynolds BA BDentSC MFDS RCSEd DChDent (Pros) FFD RCSI

Editorial Board

Dr Meriem Abbas BDS (NUI) MFDS RCSEd PGDip TLHE

Una Farrell Dip Dental Hygiene

Dr Catherine Gallagher MB BCh BAO BDS NUI FDS RCSEng FFD RCSI

Dr Geraldine McDermott BA BDentSc MFDS (RCSI) PGradDip ConSed (TCD) MSc Healthcare Leadership (RCSI)

Dr Clair Nolan BDS (NUI) MSc (Endo) U Lond

Dr Adedeji Daniel Obikoya BChD MFDS (RCSI) MSc

Dr Judith Phelan BDS (NUI) MDS (NUI) MSc (U Lond) MRD (RCS Eng and Glas)

Dr Patrick Quinn BCL BDS LLM MDPH

Dr Catherine Vaughan BDS (NUI)

Th!nk Media

Published on behalf of the IDA by Think Media, 537 NCR, Dublin 1.

T: +353 1 856 1166 www.thinkmedia.ie

Managing Editor Ann-Marie Hardiman ann-marie@thinkmedia.ie

Editorial Caoimhe Coolican

Advertising Paul O’Grady paul@thinkmedia.ie

Design Rebecca Bohan, Tony Byrne

International Editorial Board

Assoc. Prof. Lamyia Anweigi BDS MMedSc MFDS PhD (Qatar)

Dr Ana Cecilia Diniz Viana BDS MD PhD (Brazil)

Dr John Macken BDS PGCertMEd PhD MFDS RCSEng ACIEA FHEA (UK)

Prof. Leonardo Marchini DDS MSD PhD (USA)

Dr med dent Ramiar Karim BDS MSc Paed Dent (Germany)

Dr Elaine Smyth BA BDentSc DChDent (USA)

Prof. Murali Srinivasan BDS MDS MBA MAS PD (Switzerland)

Prof. Sayaka Tada DDS PhD (Singapore)

jida.scholasticahq.com

Irish Dental Association Unit 2 Leopardstown Office Park, Sandyford, Dublin 18.

T: +353 1 295 0072

F: +353 1 295 0092 www.dentist.ie

Follow us! irish-dental-association

Irish Dental Association irishdentalassociation irishdentalassociation

JIDA Science is an official publication of the Irish Dental Association. The opinions expressed in JIDA Science are, however, those of the authors and cannot be construed as reflecting the Association’s views. The editor reserves the right to edit all copy submitted to JIDA Science

JIDA Science welcomes international colleagues

The JIDA’s International Editorial Board held its first formal meeting recently, while updates to editorial policies are addressing the challenges of AI in scientific publishing.

I am delighted to say that the first editions of the newly designed JIDA/JIDA Science have been well received by dentists in Ireland and abroad. I have been given very positive feedback from dentists, academics and researchers who share our excitement with this new phase.

In addition to the separation of JIDA and JIDA Science, the assembling of an international editorial board also helped to mark this important transition for the Journal, reflecting our ambition to broaden its scope and to continue attracting highquality scientific articles for publication.

The JIDA’s International Editorial Board brings together an exceptional group of academics/researchers and clinicians from the USA, Brazil, Switzerland, Germany, the United Kingdom, Qatar and Singapore. It is fantastic to have such a diverse group, whose members, despite being spread around the world, all have a connection to Ireland. Sayaka Tada and Lamyia Anweigi completed postgraduate studies in Ireland and are now academics in Singapore and Qatar. John Macken and Elaine Smyth are Irish dentists who graduated from Cork and TCD, respectively, and are now undertaking further training abroad. Leo Marchini, Ana Cecilia Diniz Viana and Murali Srinivasan have professional ties with Ireland through research collaborations, and Ramiar Karim, who now works at the Department of Paediatric Dentistry in the University of Greifswald in Germany, published his first article in the JIDA! I believe it was this shared connection that made the inaugural meeting of the International Editorial Board so special. This meeting took place via Teams on December 9 and it was exciting to see new ideas flourish as Board members shared their views on how to develop JIDA Science further. Discussions highlighted opportunities to expand the Journal’s thematic reach, encourage submissions, and disseminate the name of the Journal more widely. A future submission for PubMed accreditation was at the forefront of the discussions. The Board members all agreed that this would help to attract worldwide high-quality research, while keeping our core mission, which is to offer general dental practitioners access to the most up-to-date information. It would also help us to continue to serve as a trusted platform for researchers and dentists to publish their research work, professional insights and opinions.

As JIDA Science continues to evolve, the International Editorial Board will play a central role in shaping its direction, maintaining rigorous standards, and promoting innovation. We are delighted to welcome our new colleagues on this journey and invite you to learn more about them in this month’s JIDA

Updated editorial policies

A comprehensive revision of the JIDA ’s editorial policies has been conducted for JIDA Science , which is an open-access scientific publication. Keeping our aim to deliver high-quality dental research and evidence-based insights to the Irish dental community, JIDA Science has now incorporated explicit guidance

BDS MFD (RCSI) Dip TLHE

MPH Phd FFD RCSI

Honorary Editor

journaleditor@irishdentalassoc.ie

The JIDA Science International Editorial Board held its first formal meeting in December 2025.

on the responsible use of artificial intelligence (AI) in scientific writing. Following other scientific publishers, which now recognise the growing role of generative AI and AI-assisted technologies in research, the revised policy underscores that AI tools can be valuable for improving clarity, language, and overall presentation of manuscripts. However, the Journal emphasises that AI must complement – not replace – human critical thinking, expertise, and editorial judgement. Aer all, authors retain full responsibility for the content of their submissions.

The updated guidelines require authors to disclose any AI usage in a dedicated statement within the manuscript, specifying the tools used and their purpose. This approach ensures transparency while safeguarding academic standards. In order to maintain a clear boundary between technological assistance and the author’s original scientific contribution, the policy prohibits AI-generated or AI-modified figures, images, and artwork. It also prohibits reviewers from using generative AI to conduct manuscript reviews.

By formally integrating AI guidance into its editorial framework, JIDA Science provides authors and reviewers with clarity on best practices, helping to navigate the evolving landscape of digital tools in research publishing. This step reinforces the Journal’s dedication to maintaining high-quality, ethical, and transparent publication in dental science, while embracing innovations that enhance scholarly communication.

I would encourage all prospective authors to familiarise themselves with the revised editorial policies before submitting manuscripts. Reviewing these guidelines ensures that submissions meet ethical, technical, and stylistic standards, which will result in a more streamlined submission process.

You can visit the JIDA Science website at https://jida.scholasticahq.com/

Is periodontitis a risk factor for severe Covid-19 illness?

A number of studies have reported an association between periodontitis and Covid-19 outcomes.

Learning outcomes:

Aer reading this article the reader should be able to:

1. Describe the association between the presence of periodontitis and adverse Covid-19 outcomes during the recent pandemic.

Introduction

In 2019, the World Health Organization (WHO) published the name ‘severe acute respiratory syndrome coronavirus 2’, or SARS-CoV-2, for the virus responsible for the disease referred to as Covid-19. The virus was first identified in Wuhan, China, in December 2019, with Covid-19 being declared a global pandemic in March 2020. By the end of April 2025, the WHO had reported 778 million cases of Covid19 worldwide, with 7.1 million deaths. In Ireland, 1.8 million cases have been reported, with approximately 9,800 associated deaths. Most patients with Covid-19 infection develop mild symptoms such as low-grade fever, fatigue and dry cough. However, in some cases symptoms can be severe, leading to hospitalisation due to shortness of breath, chest pain, low blood oxygen, and respiratory distress. The risk factors associated with this severe systemic presentation include advanced age, male gender, obesity, cardiovascular disease, and diabetes. This narrative review will evaluate the evidence of a possible association between periodontitis and an increased risk of serious adverse outcomes of Covid-19.

Periodontitis and systemic disease

Over recent years, periodontitis has been linked to the pathogenesis of numerous systemic conditions (Figure 1 ). Of these, most studies have centred on cardiovascular disease and diabetes. Periodontitis is now considered an independent risk factor for cardiovascular disease.1 Similarly, periodontitis has been shown to increase the risk of diabetes onset and the subsequent development of complications, while successful treatment of periodontitis has been shown to improve diabetic status, significantly reducing glycated haemoglobin levels. 2 Proposed biological mechanisms underlying these links include:

n bacteraemia: the ingress of periodontal pathogens to the bloodstream and subsequent translocation around the body; and,

2. Outline potential systemic biological mechanisms underlying the association between periodontitis and Covid-19 outcomes, alongside local factors relating to the periodontal pocket, viral carriage in the oral cavity, and the role of specific periodontal pathogens.

FIGURE 1: Proposed links between periodontal disease and a range of systemic conditions.

n increased systemic inflammation: due to the overflow of inflammatory mediators produced at sites of periodontitis into the systemic circulation, and release by the liver and other tissues on stimulation by periodontal pathogens through bacteraemia.

While studies on a possible link between periodontitis and respiratory disease are more limited, available evidence also supports an association between

Corresponding author: Chris Irwin, Centre for

Queen’s University Belfast E: c.r.irwin@qub.ac.uk

Colon
Coronary

periodontitis and chronic obstructive pulmonary disease (COPD), specifically the frequency of exacerbations and hospitalisation, and quality of life in COPD patients.3 In addition, early intervention studies suggest a positive impact of periodontal treatment on COPD and pneumonia. 4 An additional suggested mechanism linking these two conditions is the aspiration of periodontal pathogens. Elevated levels of Fusobacterium nucleatum and Prevotella intermedia have been found in the sputum of patients with an acute exacerbation of COPD.5

Association between periodontitis and Covid-19 outcomes

A small number of studies have investigated a potential association between periodontitis and Covid-19 outcome severity, with the majority reporting associations between the two conditions. Severe periodontitis, elevated plaque score and gingival bleeding have been more frequently observed in Covid-19 patients 6 and, while not reported in all studies, analysis of data from a range of studies has indicated that patients with periodontitis had a 54% greater chance of getting Covid-19 infection compared to those with healthy periodontal tissues.

Pooled data from studies also showed a significant positive association between periodontitis and Covid-19 severity. In one case-control study from Qatar,7 where radiographs were available to determine periodontal status, after adjusting for potential confounders the presence of significant periodontal disease (Stage II-IV) was found to be associated with poor Covid19 outcomes:

n need for assisted ventilation (OR=4.57, 95% CI 1.19-1.74); n ICU admission (OR=3.54, 95% CI 1.39-9.05); and, n death (OR=8.81, 95% CI 1.00-77.7).

Interestingly, in this study, Covid-19 cases with periodontitis also had significantly elevated markers of systemic inflammation, including white blood cell counts and C-reactive protein (CRP) levels.7

In a separate case-control study, where the level of periodontal disease was assessed clinically, higher severity of periodontitis was again related to poorer Covid-19-related outcomes, namely: the need for assisted ventilation (OR=7.45, 95% CI 2.00-25.82); hospital admission (OR=36.52, 95% CI 4.62-288.64); Covid19-related pneumonia (OR=4.42, 95% CI 1.57-12.45); and, death (OR=14.58, 95% CI 0.69-125.33).8

Obesity is known to be a significant risk factor for poor Covid-19 outcomes. A recent study has shown an additive effect of periodontitis and obesity on Covid19 outcomes. For patients with obesity, both hospital admission rates and mortality rates were significantly higher in those participants with periodontitis than those without.9

Given the acute nature of the condition, no intervention studies on the impact of periodontal treatment on Covid-19 outcomes have been undertaken. However, using the same database as used in the previously mentioned study in Qatar, researchers were able to compare infection outcomes between periodontal patients who had previously received treatment and those who had not. No statistically significant differences were found between participants who were periodontally healthy and those previously treated for periodontitis. In contrast, untreated periodontal patients had a significantly greater risk of requiring mechanical ventilation compared to healthy cases (OR=3.91, 95% CI 1.21-12.57).10

Table 1: Risk factors for periodontitis and adverse Covid-19 outcomes. Factors in bold are shared by both conditions.

Periodontal disease

Smoking

Diabetes

Obesity

Older age

Male gender

Genetic

Stress

Dysbiotic plaque

Adverse Covid-19 outcomes

Smoking

Diabetes

Obesity

Older age

Male gender

COPD

Cardiovascular disease

Hypertension

Chronic kidney disease

A direct effect or simply shared risk factors?

Taken as a whole, data from these studies indicate that periodontitis shows an association with increased severity of Covid-19 infection and poorer outcomes. Periodontitis and severe Covid-19 complications have common risk factors, including smoking, diabetes, obesity, older age and male gender (Table 1). Any association between the two conditions may thus simply be a result of these shared risk factors.

In contrast, several hypotheses have been put forward to provide biological plausibility underlying an association between the two conditions. Patients with severe Covid-19 outcomes show an exacerbated immune and inflammatory response to infection by the virus, characterised by excessive levels of pro-inflammatory cytokines and multi-organ damage – the so-called cytokine storm syndrome,11 many of the components of which are common to the cytokine expression profile of periodontitis. Covid-19 mortality has been associated with elevated levels of serum interleukin-6 (IL-6) and CRP,12 indicating a clear link between systemic hyperinflammation and disease severity. In 1986 a seminal paper in the periodontal literature was published on periodontal disease progression in a group of male Tamil tea labourers with no exposure to dental treatment or disease prevention.13 This study found a subset of approximately 8% of participants who showed rapid progression of periodontal disease. The term ‘hyperinflammatory phenotype’ was conceived to define those patients deemed at higher risk of developing progressive periodontitis, a term resonating with the excessive levels of systemic inflammation seen in patients with severe Covid-19 outcomes and raising the possibility of hyperresponsiveness to bacterial/viral insult, based in genetics, underlying both conditions.

Knowledge of the association between periodontal disease and other systemic conditions also provides a basis for a biological link between periodontitis and Covid-19 outcomes. As detailed above, bacteraemia, systemic inflammation and, in the specific case of respiratory disease, micro-aspiration of periodontal pathogens, all play a role in these associations and could equally be applied to Covid-19 outcomes. Thus, the presence of untreated periodontitis could add to the burden of systemic inflammation in Covid-19 patients.

Periodontal pockets and bacterial pathogens may also influence the response to Covid-19 infection. SARS-CoV-2 has been detected in periodontal pockets and gingival crevicular fluid.14 Micro-ulceration of the diseased periodontal pocket wall is thought to aid ingress of the virus into the local tissues and systemic circulation. Angiotensin-converting enzyme

Periodontitis

Bacteraemia

Inflammatory cytokines

Poor glycaemic control

Periodontopathic bacteria

Cleave S-protein

Increased blood biomarker levels

Systemic inflammatory response

Exacerbate

Covid-19 complications

2 (ACE2), the main receptor for SARS-CoV-2 promoting entry into host cells and tissues, is highly expressed in inflamed periodontal tissues. Moreover, periodontal pathogens can enhance the virus’s ingress and virulence by cleaving its S-glycoprotein, while aspiration of periodontopathic bacteria, and specifically Fusobacterium nucleatum , induces the expression of ACE2 in the lower respiratory tract.15 Figure 2 summarises proposed local and systemic biological mechanisms that could explain the association between periodontitis and Covid-19 outcomes.

Clinical implications

The Covid-19 pandemic had a worldwide impact on all aspects of our lives. While current infection levels have diminished greatly – 515 Covid-19 cases in Ireland, and approximately 25,000 cases worldwide were reported to the WHO in April 2025 – our understanding of the association between periodontitis and Covid-19 outcomes, alongside links to a range of systemic diseases, highlights the importance of the maintenance of periodontal

References

1. Sanz M, Marco Del Castillo A, Jepsen S, et al. Periodontitis and cardiovascular diseases: consensus report. J Clin Periodontol. 2020;47(3):268-288.

2. Simpson TC, Clarkson JE, Worthington HV, et al. Treatment of periodontitis for glycaemic control in people with diabetes mellitus. Cochrane Database Syst Rev. 2022;4(4):CD004714.

Localised inflammation in the lungs

Exacerbates

Oral cavity and periodontal pockets

Viral load

health to our general health. Despite the lack of intervention studies on periodontal treatment of Covid-19-infected patients, data reported in this review strongly suggest that the concomitant presence of periodontitis leads to significantly increased risk of adverse Covid-19 outcomes. Prevention or successful treatment of periodontitis will not only reduce the direct impact of periodontal pathogens on respiratory tissues, but has also been shown to reduce markers of systemic inflammation, including IL-6 and CRP. Moreover, treatment of periodontitis has also been shown to have a direct impact on a systemic condition, namely diabetes, itself a risk factor for Covid-19 outcomes. Analysis of data from intervention studies showed that successful non-surgical periodontal therapy led to a reduction in glycated haemoglobin levels of 0.43% in type 2 diabetic patients, equivalent to taking glucose-reducing medication.2 Data on the association between periodontitis and Covid-19 outcomes further strengthen our understanding of the importance of maintaining periodontal health, not just in relation to oral health, but also regarding overall systemic health.

3. Kelly N, Winning L, Irwin C, et al. Periodontal status and chronic obstructive pulmonary disease (COPD) exacerbations: a systematic review. BMC Oral Health. 2021;21(1):425-435.

4. Zhou X, Han J, Liu Z, Song Y, Wang Z, Sun Z. Effects of periodontal treatment on lung function and exacerbation frequency in patients with chronic obstructive

SARS CoV-2
Binds to ACE2
FIGURE 2: Potential mechanisms underlying the association between periodontal disease and Covid-19 outcomes.

pulmonary disease and chronic periodontitis: a 2-year pilot randomized controlled trial. J Clin Periodontol. 2014;41(6):564-572.

5. Brook I, Frazier EH. Immune response to Fusobacterium nucleatum and Prevotella intermedia in the sputum of patients with acute exacerbation of chronic bronchitis. Chest. 2003;124(3):832-833.

6. Anand PS, Jadhav P, Kamath KP, Kumar SR, Vijayalaxmi S, Anil S. A case-control study on the association between periodontitis and coronavirus (COVID-19). J Periodontol. 2022;93(4):584-590.

7. Marouf N, Cai W, Said KN, et al. Association between periodontitis and severity of COVID-19 infection: a case-control study. J Clin Periodontol. 2021;48(4):483-491.

8. Gupta S, Mohindra R, Singla M, et al. The clinical association between periodontitis and COVID-19. Clin Oral Investig. 2022;26(2):1361-1374.

9. Larvin H, Wilmott S, Kang J, Aggarwal VR, Pavitt S, Wu J. Additive effect of periodontal disease and obesity on COVID-19 outcomes. J Dent Res. 2021;100(11):1228-1235.

10. Said KN, Al-Momani AM, Almaseeh JA, et al. Association of periodontal therapy, with inflammatory biomarkers and complications in COVID-19 patients: a case control study. Clin Oral Investig. 2022;26(11):6721-6732.

11. Hu B, Huang S, Lin L. The cytokine storm and COVID-19. J Med Virol. 2021;93(1):250256.

12. Herold T, Jurinovic V, Arnreich C, et al. Elevated levels of IL-6 and CRP predict the need for mechanical ventilation in COVID-19. J Allergy Clin Immunol. 2020;146(1):128-136.

13. Loe H, Anerud A, Boysen H, Morrison E. Natural history of periodontal disease in man. Rapid, moderate and no loss of attachment in Sri Lankan laborers 14 to 46 years of age. J Clin Periodontol. 1986;13(5):431-445.

14. Gupta S, Mohindra R, Chauhan PK, et al. SARS-CoV-2 detection in gingival crevicular fluid. J Dent Res. 2021;100(2):187-193.

15. Takahashi Y, Watanabe N, Kamio N, Kobayashi R, Iinuma T, Imai K. Aspiration of periodontopathic bacteria due to poor oral hygiene potentially contributes to the aggravation of COVID-19. J Oral Sci. 2020;63(1):1-3.

Quiz

Submitted by Aisling Wallace BDS NUI.

A 62-year-old man presented with a painful, firm, immobile swelling on the le border of the body of his mandible (Figure 1). Intra-orally no obvious dental pathosis was clinically visible, and his remaining le side mandibular teeth were unrestored, caries free, had no periodontal pocketing, were not tender to percussion, and were testing vital to cold testing. An orthopantomogram (OPG) was taken to assess further (Figure 2).

Questions

1. What medical condition is associated with the features seen in the OPG?

2. What features may be associated with this condition?

3. What is the aetiology of this condition?

4. How might the condition be detected?

FIGURE 1
FIGURE 2

Emma Carr

Speciality Registrar, Orthodontics

Glasgow Dental Hospital

Sena Mamurekli

Dental Core Trainee

Glasgow Dental Hospital

Lorna Murphy

Consultant Orthodontist

Glasgow Dental Hospital

Corresponding author:

Emma Carr

E: Emma.carr3@nhs.scot

How staff training can improve perceptions and knowledge on waste management in dentistry

Précis: This project has highlighted that training healthcare staff on appropriate waste segregation and its associated environmental impact leads to improved staff knowledge and awareness.

Abstract

Introduction: The Royal College of Surgeons in Ireland suggests that implementation of sustainable waste practices within dentistry is a small but significant step to tackle the profession’s environmental burden. Poor waste segregation can lead to increased atmospheric methane gas, which is one of the largest contributors to climate change.

Objectives: To measure staff perceptions/knowledge on healthcare waste management. To improve staff knowledge of appropriate waste management in dentistry and their understanding of the environmental impact of incorrect disposal of dental waste.

Methods: Within a UK secondary care dental hospital setting, a questionnaire was issued to staff to ascertain current knowledge and opinions on dental waste management. Several methods aiming to improve staff knowledge were implemented prior to issuing a second survey.

Results: Of initial respondents, 73% answered that they think about environmental sustainability daily/weekly. However, 56% lacked confidence in their knowledge of waste segregation. They perceived that the biggest healthcare contributors to carbon footprint were lack of recycling facilities, patient/staff travel, and plastic disposal. Following teaching, 95% of those who attended had increased knowledge and awareness.

Conclusions: This project highlighted that many dental staff do not feel that they have appropriate training on correct waste management as part of their induction. The benefits of improving staff knowledge on sustainable waste practices cannot be underestimated due to the growing global concern of climate change. This project has highlighted that teaching led to improvement in staff knowledge and confidence.

Journal of the Irish Dental Association Science February/March 2026;2(1):8-13

Introduction

Climate change is a global crisis and is one of the major threats to human health. It has caused rising temperatures, which have led to an increase in mortality, reduced biodiversity within many species, and acidification of oceans.1 One of the main contributors to this is human activity and associated waste production, with 40 billion tonnes of man-made carbon dioxide (CO2) released globally in 2021.2 In a questionnaire of public perception in 50 countries, it was reported that 64% of people believe climate change is a global emergency.3 The global annual production of municipal solid waste is two billion tonnes, and by 2050, this is expected to rise to three billion tonnes.4 The breakdown of waste results in the release of the potent greenhouse gas (GHG) methane (CH4). While there has been increased pressure from governments and societal bodies to reduce the atmospheric release of CO2, the effects of CH4 have been overlooked, although it has been reported to be more potent and contributes to around one-third of global warming.4

In 2023, the Environmental Protection Agency (EPA) reported that Ireland’s GHG emissions were around 55 million tonnes of CO2 equivalent.5 Although this is a 6.8% reduction from 2022, the population in Ireland is estimated to grow to 5.5 million in 2030 and to 6.2 million in 2050. As the emission of GHGs is directly related to human activity, there is a still a need to reduce emissions significantly. The National Health Service (NHS) in England produces 22.8 million tonnes of carbon emissions annually, which equates to 2% of the carbon footprint of the whole country; equivalent services in the USA and Austria produce 10% and 7%, respectively.6

Dentistry is resource heavy, with a considerable negative environmental impact.7 Contributing factors include waste disposal (namely plastics), inappropriate use of electricity, transportation of materials, and patient/staff travel. This article will discuss a recent project that primarily focused on improving dental staff knowledge on waste management.

Waste from landfill may result in bacterial breakdown of municipal soil, resulting in release of GHGs such as CH 4 and CO2. In Ireland, the overall CH4 emissions from landfill sites peaked at 2,461 kilotonnes CO2 equivalent in 2009 and have reduced by 29% according to reports in 2018. However, with a need for further reduction, the Waste Framework

Directive has set a target, by 2025, to recycle and prepare for reuse 55% of municipal waste.8

Waste management guidance9 states that those involved in waste disposal should ensure that waste segregation should “promote high quality recycling”. The benefits of recycling include reduced demand on raw materials, and less need for landfill disposal of waste. Recycling can be low cost, if efficiently and effectively managed. Poor waste segregation can lead to non-clinical waste being disposed of in the clinical waste stream, increasing the overall cost and potentially causing harm to the environment from incineration.9

It is estimated that up to half of clinical waste contents are incorrectly disposed of;10 therefore, increasing staff knowledge on appropriate waste segregation should not only cut costs but also have a less detrimental environmental impact. The aim of this paper is to provide a short overview of the impact of incorrect dental waste disposal on the environment and discuss a recent quality improvement project conducted within a secondary care dental setting, which aimed to:

1. Measure staff perceptions/knowledge on healthcare waste management.

2. Improve overall understanding of appropriate waste disposal practices.

In completing this project, the barriers to implementation of change within the workplace were also considered.

Background

Dental waste falls into three categories: non-clinical; clinical; and, energy waste. Hazardous clinical waste requires specialised heat treatment/incineration to render it safe before disposal; however, this contributes a small proportion of overall healthcare waste. Non-clinical waste makes up 75-90%11 of all healthcare waste, and many of the disposed-of items are recyclable. However, due to challenges with recycling facilities within healthcare settings, these items oen end up in landfill or are incinerated instead. Incineration results in the emission of GHGs such as CO2 and nitrogen oxides, which contribute to rising global temperatures and air pollution. Air pollution is the biggest environmental health risk in Europe, contributing to more than 400,000 premature deaths each year, and it has been reported that one in eight deaths are linked to pollution.11 In attempting to tackle this problem, recent guidance by the EU has stated that by 2030, carbon emissions in Ireland should have reduced by up to 30% compared to 2005 levels.12

Dental waste places a huge burden on environmental sustainability.7 One of the initiatives to aid promotion of appropriate waste management within dentistry is ‘Reduce, Reuse, Recycle and Rethink’:

n Reduce: reducing the demand for dental care and resources by prevention will ultimately reduce the volume of waste produced.

n Reuse: a reduction in the use of single-use equipment, which is oen used out of convenience. The Covid-19 pandemic led to an increase in the use of single-use personal protective equipment (PPE). For example, disposable face visors have been reported to release five times more CO2 equivalent emissions and three times more fossil fuels than the reusable equivalent.13

n Recycle: recycling benefits include reduced demand on landfill and ultimately reduced production of GHGs.

n Rethink: stakeholders are encouraged to adopt a unified and collaborative approach to review and improve waste disposal. As a profession, we should embed sustainable practices within the workplace as we have a duty to care for our patients’ holistic well-being as well as their oral health.14

Wilson et al. recommended that improving education on waste management should start at undergraduate level with compulsory training as part of the curriculum.14 Public awareness of climate change has peaked; however, this is not emulated within dental training. Dental professionals have a duty of care to keep up to date with current practices and regulations, and this should include appropriate waste segregation. It is our hope that this project highlights the benefits of improving staff knowledge in clinical waste disposal as a first step in tackling the global environmental crisis.

Aims

The aim of this project was to gauge current staff knowledge of appropriate healthcare waste segregation within a Glasgow dental hospital and school. It was then hoped to improve staff knowledge and understanding in the following areas:

(i) appropriate waste management; and, (ii) the environmental impact of incorrect waste disposal.

Materials and methods

Approval for this project was gained locally from the Clinical Governance Committee. No ethical approval was required as this project was gauging staff perceptions only. All clinical, radiology and laboratory staff within the secondary care dental hospital setting were invited to participate. Information regarding the survey was emailed to all staff and participation was voluntary. Departments that agreed to participate included orthodontics, restorative, paediatric, radiology, oral surgery, oral medicine, and the laboratories.

A 17-question online questionnaire ( Appendix 1 ) was issued to all participants to gauge staff knowledge on sustainability. Participants were given three weeks to complete the survey between January 15, 2024, and February 5, 2024. Following an arranged meeting with the Head of Sustainability for the health board to discuss methods for improving staff knowledge, the following were planned:

1. Showcase of posters to promote a recent sustainability campaign launched locally within the health board.

2. In-person teaching from the local health board sustainability team and committee.

3. Pop-up stall to improve staff engagement and promote sustainable practices.

A pop-up stall was set up within the hospital by the local sustainability team. This was well received and allowed staff members to engage with the sustainability team, receive written information and ask questions. Teaching was delivered in person on two occasions and, immediately following this, attendees were asked to complete a second online questionnaire (Appendix 2) to ascertain if knowledge had improved.

Results

The initial survey was issued to 388 staff including dental nurses, dental trainees, registrars, healthcare support workers, administrative staff, consultants, and university staff. The total number of responses was 135, providing a response rate of 35%.

From this, 73% answered that they think about sustainability daily or weekly, indicating the importance of sustainability to our staff members. Additionally, 32% were unaware of the cost implications of the disposal of healthcare waste, while 38% felt that they had not had appropriate training on waste management

within the healthcare setting (Table 1). Of those who answered no to this question, most found that online modules (e-learning) would be the most useful form of learning, followed by information sheets (posters) and face-to-face teaching. When asked what staff felt was the biggest contributor to the carbon footprint within the NHS, there were several responses, including waste disposal and lack of recycling (12%), disposal of single-use items (8%), and patient and staff travel (7%). Staff responses to current waste management efforts within the workplace are illustrated in Table 2

Regarding current confidence in knowledge of waste management in healthcare, participants were asked to rate themselves on a scale of one to 10. Some 56% answered one to four, indicating a lack of confidence. Only 5% answered 10 in terms of current confidence.

Round two findings

Following the teaching session and pop-up event, a second round of data were collected at an orthodontic staff meeting by an online questionnaire to ascertain if knowledge had improved. The survey was distributed to 109 participants, with 70 responses, giving a response rate of 64%.

Some 95% of those who responded had increased knowledge and awareness of appropriate waste segregation. A total of 59% answered ‘somewhat confident’ regarding their current confidence/knowledge on waste management, and 30% answered ‘extremely confident’. A total of 11% answered either ‘neutral’ or ‘lacking confidence’ and, reassuringly, no one answered ‘extremely lacking confidence’ (Figure 1). Some 77% felt that further teaching in the form of online learning would be useful to consolidate and revise knowledge.

In terms of future changes, 64% said that they would like more recycling bins within the secondary care setting, and some of the suggestions to further improve sustainability practice included: dedicated sustainability teams within each

Do you feel that you have had appropriate training on waste management within the healthcare setting?

Percentages total >100% due to rounding.

department; and, the creation of a short step-by-step guide on what should be placed in each bin.

Discussion

Although a seemingly high percentage of respondents (73%) answered that they think about sustainability regularly, the response rate to our survey was only 35% and therefore there may be an element of response bias. We are aware that this is a relatively low response rate and therefore the views may not be representative of all staff. Poor staff engagement may therefore be one of the barriers to implementation of new policies and procedures to improve sustainability practices within the hospital environment. Other barriers may include staff perception of the scale and complexity of change, conflicting priorities and limited resources.15

To improve our response rate, we could have targeted staff at departmental meetings, advertised on social media platforms, and had various ways of accessing the questionnaire, i.e., QR codes displayed on posters and paper copies, as the use of multiple methods of distributing surveys has been shown to improve response rates.16 The survey was initially only emailed to all participating colleagues with an outline of the timeframe to complete. The use of personally addressed email reminders has been shown to increase survey response rates by up to 50% and a follow-up email close to the deadline may therefore have been beneficial. Questionnaires that are short, convenient and quick to complete have also been demonstrated to have a better response rate. The survey consisted of 17 questions, and this could likely be condensed to include only pertinent questions that yield clinically relevant information.16 One of the other limitations of this project relates to the lower distribution rate of the second survey. This was due to clinical commitments and timetabling, which limited the number of staff

Table 2: Initial survey – staff responses to current waste management efforts within the workplace.

Table 1: Initial survey – staff responses regarding their current level of training on waste management. How confident do you feel with your current knowledge on waste management?

Do you feel that the environment you work in makes the effort to be environmentally friendly?

FIGURE 1: Confidence change in knowledge between first and second surveys.

able to attend the in-person teaching. Some 109 staff attended the teaching, and the survey was completed by 70 people. By the time of the second survey, we were only able to deliver two teaching sessions due to logistical challenges; however, online modules are now available for staff to complete, which specifically focus on waste handling.

Within the initial survey, respondents were asked to choose from a list of options on how they would dispose of a variety of clinical items. Domestic stream was the most commonly selected answer, with 87% of people answering that they disposed of paper towels within domestic waste bags that are disposed of by incineration or in landfill. This was also the most answered for the disposal of drinks cans (72%), cardboard boxes (62%), wastepaper with no identifiable information (70%), and rinsed hand gel bottles (66%). This highlighted that several recyclable items are currently being disposed of in non-recyclable stream waste, and this has implications for both cost and carbon emissions, with 21kg of carbon emissions being released per tonne of domestic waste. While this is less than healthcare risk waste, there are items being disposed of within nonclinical waste that are 100% recyclable.

It has been reported that within our health board, 95% of waste classified as ‘regular healthcare risk waste’ is incorrectly disposed of. Healthcare waste results in 273kg of carbon emissions per tonne of waste in comparison to 21kg for domestic waste, highlighting the detrimental effects of incorrect waste disposal. There are also cost implications to this, and within Ireland, savings of between €800,000 and €1,300,000 could be made each year in acute hospitals by ensuring that only clinical waste is disposed of within the ‘healthcare risk stream’.17 The teaching session prompted discussion on how we could encourage staff to use the non-clinical waste stream or recycling where possible. Suggestions included reducing the number of clinical waste bins, increasing the number of recycling bins, improving staff knowledge with e-learning, and ensuring that mandatory training in relation to appropriate waste management is completed as part of the induction process.

While this project was conducted within a UK hospital, the problems with incorrect waste disposal are also prevalent within Ireland. A study conducted in Ireland assessing the contents of healthcare risk waste bags found that 19% of the contents were obvious non-risk items (e.g., packaging). Some 15% of the bags were uncontaminated materials without any healthcare risk. In simple terms, the amount of healthcare waste can be reduced by staff knowing what should be disposed of in each waste stream.15 Within Ireland, the Waste Action Plan for a Circular Economy17 outlines the roadmap for Ireland’s waste management. Within the UK, the Health and Safety Executive published revised guidance in 2021 on the effective management of healthcare waste.18 Our local health board has outlined within their Climate Change and Sustainability Strategy, that by 2025, a maximum of 5% of all healthcare waste produced will result in landfill disposal and the recycling rate will increase to 70%.19 Broadly, the implemented EU waste policy is to improve waste management, promote recycling and limit disposal in landfills.20

References

1. European Commission. Consequences of climate change. https://climate.ec.europa.eu/climate-change/consequences-climatechange_en#:~:text=Higher%20temperatures%20can%20cause%20increased,g eographical%20distribution%20of%20climate%20zones. Accessed January 9, 2025.

This project initially gauged staff knowledge on waste segregation; however, one of the biggest contributors to carbon footprint within healthcare is patient/staff travel.21 This therefore poses the question: can some appointments be conducted remotely? The introduction of video consultations in 2020 due to the Covid-19 pandemic has led to increased acceptance of ‘virtual appointments’, with the benefits of convenience, avoiding time off work and school, and reduced travel. Although the acute implications of the pandemic have largely reduced, many believe that the continuation of remote consultations may overcome some of the barriers patients may face when accessing treatment. The results of a recent audit carried out in the orthodontic department in Royal Blackburn Teaching Hospital confirmed that there is a high level of patient satisfaction with remote consultations, with 76% of patients saying that they found it more convenient than face to face. Furthermore, 66% said that they would like more virtual appointments in the future.22 In a study that aimed to understand patient/public perception of sustainability within dentistry, Baird et al. explored the compromises patients would be willing to make to have a positive impact on the environment. They found that patients are generally keen to make changes to improve sustainability within dentistry and would be willing to compromise on some aspects (time, cost, and accessibility) but not on factors such as dental health and aesthetics.23 This may therefore raise questions among clinicians: are all of our face-to-face appointments necessary?; and, would there be a benefit (for both patients and the environment) in moving towards a hybrid mix of in-person and video appointments?

Conclusions

The awareness of the public on the need to adopt more environmentally friendly practices is at an unprecedented level, which highlights the need to tackle these issues. However, professional awareness appears to be lower and there appears to be disparity between personal responsibility to be more environmentally considerate and professional practices.23

Climate change is one of the biggest threats to human health, and dental professionals should consider how appropriate waste management can reduce the environmental burden of the profession. This project highlighted that there appears to be a deficiency within dental training on appropriate waste segregation and management (38% of our initial survey responders felt that they had insufficient training).

By equipping staff with the appropriate resources and education, we hoped to encourage them to consider what changes can be made to their practice to be more sustainable. However, in ensuring that the professions’ knowledge on sustainable practices, in particular appropriate waste management, is maintained and updated, we should consider other ways to provide teaching, e.g., mandatory induction modules and within the undergraduate curriculum. This project has made the first step in a secondary care setting by improving staff knowledge on: the impact of healthcare waste on carbon footprint; and, how to appropriately dispose of healthcare waste to minimise environmental impact.

2. Climate Now. CO2-equivalent explained. https://climatenow.com/video/co2equivalent-explained/. Accessed January 9, 2025.

3. United Nations Development Programme. The People’s Climate Vote. 2021. https://www.undp.org/publications/peoples-climate-vote. Accessed January 9, 2025.

4. Hoy ZX, Woon KS, Chin WC, Van Fan Y, Yoo SJ. Curbing global solid waste emissions toward net-zero warming futures. Science. 2023;382(6672):797-800.

5. Environmental Protection Agency. Latest emissions data. https://www.epa.ie/our-services/monitoring—assessment/climatechange/ghg/latest-emissions-data/#:~:text=In%202023%2C%20Ireland’s%20G HG%20emissions,in%20emissions%20reported%20for%202022 . Accessed January 9, 2025.

6. London Ambulance Service. London Ambulance Service Carbon Neutral Plan April 2022 – March 2025. https://www.londonambulance.nhs.uk/about-us/ourplans-for-the-future/london-ambulance-service-carbon-neutral-plan-april-202 2-march-2025/. Accessed January 9, 2025.

7. Mulimani P. Green dentistry: the art and science of sustainable practice. Br Dent J. 2017;222(12):954-961.

8. National Health Service Scotland. NHS Scotland Waste Management Guidance (SHTN 03-01). https://www.nss.nhs.scot/publications/nhsscotland-wastemanagement-guidance-shtn-03-01/. Accessed January 9, 2025.

9. NHS Greater Glasgow and Clyde. Watch your waste to clean up on costs. https://www.nhsggc.scot/watch-your-waste-to-clean-up-on-cost . Accessed January 9, 2025.

10. World Health Organization. Safe management of wastes from health-care activities. https://apps.who.int/iris/bitstream/10665/85349/1/9789241548564_eng.pdf

Accessed January 9, 2025.

11. World Economic Forum. 1 in 8 deaths in Europe are linked to pollution, says EU. https://www.weforum.org/stories/2020/09/carbon-emissions-european-unionhealth/#:~:text=Air%20pollution%20is%20the%20biggest,rates%20among%2 0COVID%2D19%20patients. Accessed January 9, 2025.

12. European Commission. 2030 climate targets. https://ec.europa.eu/ireland/news/ireland-s-eu-2030-emissionstargetspublished_en. Accessed January 9, 2025.

13. Almutairi W, Saget S, McDonnell J, Tarnowski A, Johnstone M, Duane B. The

CPD questions

To claim CPD points, go to the MEMBERS’ SECTION of www.dentist.ie and answer the following questions:

1. What are the main contributors to the negative environmental impact of dentistry? (Select all that apply)

l A. Patient and staff travel

l B. Waste disposal of plastics

l C. Remote consultations

l D. Digital notes

l E. Electricity

planetary health effects of COVID-19 in dental care: a life cycle assessment approach. Br Dent J. 2022;233(4):309-316.

14. Wilson GJ, Shah S, Pugh H. What impact is dentistry having on the environment and how can dentistry lead the way? Faculty Dent J. 2020;11(3):110-113.

15. Tappen RM, Wolf DG, Rahemi Z, et al. Barriers and facilitators to implementing a change initiative in long-term care using the INTERACT® Quality Improvement Program. Health Care Manag (Frederick). 2017;36(3):219-230.

16. NHS Care Quality Commission. Publicising Surveys. Available from: https://nhssurveys.org/survey-instructions/publicisingsurveys/#:~:text=To%20be%20most%20effective%20at,spark%20interest%20 and%20encourage%20participation. Accessed September 2024.

17. Government of Ireland. Waste Action Plan for a Circular Economy. Ireland’s National Waste Policy 2020-2025. 2020.

18. Health and Safety Executive. Management of healthcare waste. https://www.hse.gov.uk/healthservices/healthcare-waste.htm. Accessed January 9, 2025.

19. NHS Greater Glasgow and Clyde. Climate Change and Sustainability Strategy 2023–2028. https://www.nhsggc.scot/downloads/climate-change-andsustainability-strategy-2023-2028/. Accessed January 9, 2025.

20. European Union. Waste and Recycling. https://environment.ec.europa.eu/topics/waste-and-recycling_en . Accessed January 9, 2025.

21. Wosik J, Fudim M, Cameron B, et al. Telehealth transformation: COVID-19 and the rise of virtual care. J Am Med Inform Assoc. 2020;27(6):957-962.

22. Byrne E, Watkinson S. Patient and clinician satisfaction with video consultations during the COVID-19 pandemic: an opportunity for a new way of working. J Orthod. 2021;48(1):64-73.

23. Baird HM, Mulligan S, Webb TL, Baker SR, Martin N. Exploring attitudes towards more sustainable dentistry among adults living in the UK. Br Dent J. 2022;233(4):333-342.

2. Which of the following is one of the main greenhouse gases contributing to climate change? (Select all that apply)

l A. Methane

l B. Nitrous oxide

l C. Nitrogen

l D. Carbon dioxide

3. What is the most environmentally friendly method of disposal for a rinsed hand gel bottle?

l A. Recycling

l B. Domestic waste

l C. Healthcare waste

l D. Sharps waste

Appendix 1: Initial survey.

Appendix 2: Follow-up survey.

Digitally guided tooth reduction in the contemporary management of amelogenesis imperfecta

Balancing biological cost with the demand for restorative space.

Introduction

Indirect prosthodontic restorations are biologically expensive due to their inherent requirement for restorative space.1 Particularly in young teeth, every precaution should be taken to avoid or minimise tooth reduction, where possible.2-3 However, when tooth reduction is deemed to be clinically indicated, contemporary methods may be applied to identify and guide tooth reduction in such a manner as to conserve tooth structure and arrive at a minimally invasive tooth preparation with precision and control. This clinical technique article illustrates how to conservatively eliminate anticipated interferences, relative to a visualised end goal of treatment, as a step prior to conventional tooth preparations for crowns. It should be noted that this step is not a replacement for conventional crown preparation, but rather an adjunctive procedure. Such digital approaches have evolved from a classic, conventional approach to prosthodontic treatment.4-6

Clinical tips

n As has been previously published in detail,7 at the dental laboratory, a three-

David McReynolds

BA BDentSc MFDS RCSEd DChDent (Pros) FFD

RCSI (Pros)

Academic Prosthodontist

Dublin Dental University Hospital

Trinity College Dublin

ORCID Profile: https://orcid.org/0000-0003-44271788

dimensional (3D) virtual patient is created through the merging of an intraoral scan (3Shape TRIOS, Copenhagen, Denmark), a facial triangulation scan (Face Hunter 3D facial scanner, Zirkonzahn Srl, Gais, Italy), and patient-specific occlusal data (PlaneSystem, Zirkonzahn Srl, Gais, Italy) on Zirkonzahn.Modifier soware (Zirkonzahn Srl, Gais, Italy).

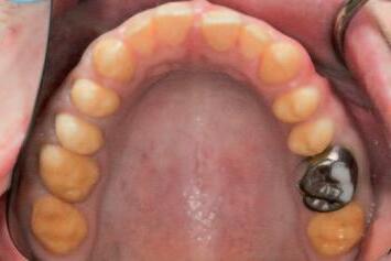
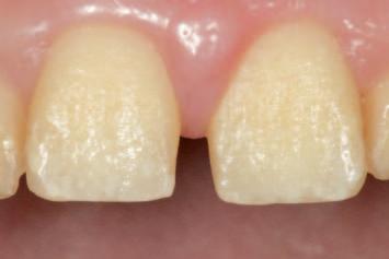
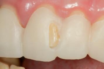
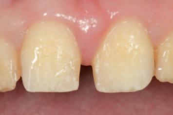
n On the basis of a facially driven smile design, with a patient-centred outcome in mind, contours of the underlying dentition that will impede the achievement of an idealised prosthodontic outcome are identified (Figure 1A) and planned for preparation with a custom digitally designed tooth reduction guide (Figure 1B). This guide is fabricated in a flexible, machinable polycarbonate material (Temp Premium Flexible, Zirkonzahn Srl, Gais, Italy) (Figure 1C).

n The tooth reduction guide is tried into the mouth to confirm complete seating and to assess the extent of the anticipated interferences clinically (Figure 2).

Alexander Lichtmannegger MDT Steger Dental Laboratory

Zirkonzahn Srl Brunico, Italy

Enrico Steger MDT CEO, Zirkonzahn Srl Gais, Italy

Corresponding author: David McReynolds, Department of Restorative Dentistry and Periodontology, Division II, Dublin Dental University Hospital, Lincoln Place, Dublin 2. E: david.mcreynolds@dental.tcd.ie

FIGURE 1: Starting with the end goal in mind, a facially driven digital smile design reveals that the underlying tilting, drifting, rotations and maxillo-mandibular relations of the natural dentition will preclude the development of harmoniously contoured definitive restorations. A tooth preparation guide may be designed and milled at this early stage to assist in conservatively eliminating anticipated interferences, in a highly controlled workflow.
A C B
FIGURE 2: Initial seating of the preparation guide on the dentition allows the clinician to visualise the intended outcome of this treatment step.
A C B

The external contours of the guide correspond to the planned final contours of the definitive restoration. Regions of the underlying dentition that protrude from the guide windows represent interferences, which must be selectively reduced to achieve the intended outcome. Importantly, this will act as a preliminary reduction, as an initial step prior to conventional tooth preparations for crowns.

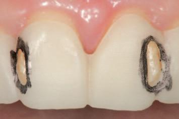
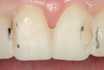
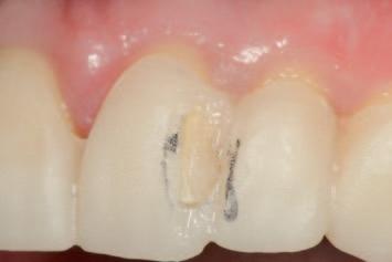
n Before initiating tooth preparation with diamond burs under copious water coolant, highly visible contrasting marks should be applied to the window perimeter of the preparation guide adjacent to the identified areas of

interference (Figure 3). These visual cues enhance intra-operative visibility and reduce the risk of over-preparation, which can occur when the guide’s reference contours are obscured by the coolant spray.

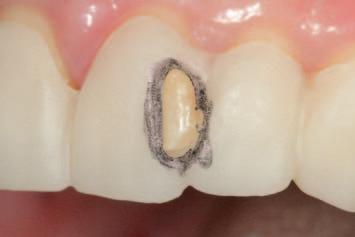
n Tooth structure is reduced until it conforms precisely to the contours of the preparation guide. The removal of the contrasting marker ink, caused by direct contact with the rotating diamond bur, indicates that the target reduction depth has been achieved. This visual endpoint ensures accurate, conservative preparation aligned with the contours of the planned definitive

(

restoration
Figure 4).
FIGURE 3: Pre-operative marking of the preparation guide with a visually contrasting colour prior to tooth reduction.
A C B
FIGURE 4: The appearance of the guide following the tooth reduction procedure. The clinician should stop the procedure the moment the contrasting ink has been displaced.
A C B
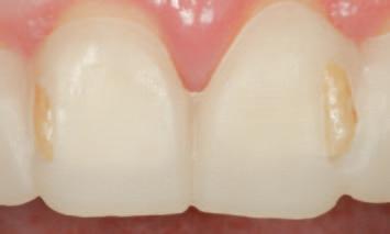
FIGURE 5: Evaluation of the clinical situation before and after the planned tooth reduction, highlighting the subtle and conservative but clinically meaningful changes that have been made, prior to tooth preparations for indirect restorations.

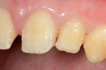
n Upon removal of the tooth reduction guide, a subtle, conservative but clinically meaningful elimination of anticipated interferences may be confirmed (Figure 5). The guided reduction procedure has simplified the subsequent process of tooth preparation for indirect restorations, at the next step of the treatment plan.

n Subsequent conventional tooth preparations can now be implemented as minimally as possible, as interferences have been eliminated with control and precision.

Conclusions

Classic approaches to prosthodontic treatment are evolving in the era of digital dentistry, where higher levels of control and precision may be efficiently achieved as they relate to the development of treatment outcomes that are important to

References

1. Edelhoff D, Sorensen JA. Tooth structure removal associated with various preparation designs for anterior teeth. J Prosthet Dent. 2002;87(5):503-509.

2. Kelleher MGD. The ‘Daughter Test’ in aesthetic (‘esthetic’) or cosmetic dentistry. Dent Update. 2010;37(1):5-11.

3. Chee WWL, Donovan TE. The enamel preservation fee? J Esthet Restor Dent. 2008;20(6):351-352.

4. Gardner LK, Rahn AO, Parr GR, Richardson DW. Using a tooth-reduction guide for modifying natural teeth. J Prosthet Dent. 1990;63(6):637-639.

patients. The application of tooth reduction guides, developed on the basis of a facially driven digital smile design, assists clinicians in achieving highly refined outcomes, while minimising the biological cost of indirect dentistry.

CRediT author statement

David McReynolds: conceptualisation, clinical procedures, visualisation, original dra preparation, writing – review and editing.

Alexander Lichtmannegger: conceptualisation, laboratory procedures, visualisation, original dra preparation, writing – review and editing.

Enrico Steger: conceptualisation, supervision, writing – review and editing, funding, resources.

Conflict of interest: funding was generously provided for the laboratory steps illustrated in this clinical technique guide by Zirkonzahn Srl, Gais, Bolzano, South Tyrol, Italy.

5. Oh WS, Saglik B, May KB. Tooth reduction guide using silicone registration material along with vacuum-formed thermoplastic matrix. J Prosthodont. 2010;19(1):81-83.

6. Caponi L, Raslan F, Roig M. Fabrication of a facially generated tooth reduction guide for minimally invasive preparations: a dental technique. J Prosthet Dent. 2022;127(5):689-694.

7. McReynolds DLA, Steger E, Lichtmannegger A. Digital planning in the contemporary management of amelogenesis imperfecta. J Ir Dent Assoc. 2025;71(2):81-84.

Quiz answers

1. Gardner syndrome.

2. Individuals who have Gardner syndrome may have hundreds or thousands of polyps in their small and large intestines, which puts them at a high risk of developing colon cancer. Oral features may include unerupted or impacted teeth, osteomas and supernumerary teeth.

3. Gardner syndrome is a rare inherited condition. It is caused by a mutation in the adenomatous polyposis coli (APC) gene. This gene is important in regulating cell growth. When the gene is faulty, cells can grow out of control,

clumping together to form abnormal growths. It is inherited in an autosomal dominant pattern.

4. Gardner syndrome may be suspected in individuals who have more than 100 polyps during colonoscopy procedures. Dentists may also notice features such as impacted teeth, osteomas and supernumerary teeth from radiographs. Genetic testing is needed for definitive diagnosis.

Questions on page 7

Oral frailty as a predictor for weight loss in older Japanese: a cohort study

Oral frailty is a key factor in maintaining nutritional status, yet its impact on weight loss remains unclear. This study aimed to: (1) evaluate the longitudinal association between oral frailty and the onset of weight loss among independent older adults; and, (2) explore how oral frailty components contribute to this association. Data were sourced from 2016 to 2022 of the Japan Gerontological Evaluation Study (JAGES). As a six-year follow-up cohort study, the onset of >10% weight loss was used as the dependent variable, reflecting the significant threshold for older adults at ≥6-month follow-up. Oral frailty was assessed as an independent variable in four ways: (a) count score (sum of five components: fewer teeth, chewing difficulty, swallowing difficulty, dry mouth, and pronunciation difficulty); (b) individual five components; (c) a latent variable structured from five components; and, (d) a refined latent variable incorporating additional paths from fewer teeth to chewing difficulty and pronunciation difficulty. Structural equation models (SEMs) were applied to examine the effect of oral frailty on weight loss, estimating standardised coefficients (SCs) and 95% confidence intervals (CIs). The construct validity of oral frailty was assessed using confirmatory factor analysis within the SEM framework. Model fit was evaluated using the standardised root mean squared residual (SRMR) and coefficient of determination (CD). Among 3,305 participants (47.4% women; mean age at baseline: 72±4.9 years), 8.9% experienced >10% weight loss. Model d, which incorporated a refined latent structure of oral frailty, demonstrated the strongest association with weight loss (SC = 0.09; 95% CI = 0.01; 0.16) among all models, with chewing difficulty showing the highest standardised factor loading (0.45; 95% CI = 0.35; 0.55). Model d also showed the best model fit (SRMR = 0.013; CD = 0.217), providing the high explanatory power and appropriateness of this model. Oral frailty significantly increases the risk of weight loss among independent older adults and its components have interrelationships.

J Dent Res. 2026;105(1):87-94.

Three-dimensional features of dental arch in children with obstructive sleep apnoea: a systematic review and meta-analysis

Wang X, Huang D, Qian Y, Zhu M.

Objectives: Children with obstructive sleep apnoea (OSA) may have specific dental arch features, which may provide some guidance for early screening for OSA in children in clinical practice. This study aimed to evaluate the association between OSA and dental arch three-dimensional features in children and adolescents. Methods: This systematic review and meta-analysis of clinical trials was conducted according to PRISMA guidelines. PubMed, Embase, Scopus, Cochrane Library and Web of Science databases were searched from inception to April 6, 2024. Clinical studies assessing dental arch features in patients with OSA under the age of 18 years were considered for this review. A meta-analysis was performed using RevMan5.4 soware.

Results: Eight studies with a total of 466 subjects were included at the end. Metaanalysis showed that upper arch width and lower arch length were significantly

reduced in the OSA group compared to the normal group (MxW1: MD=-1.45, 95% CI [-2.71 to -0.18], p=0.02; MxW2: MD=-1.60, 95% CI [-2.24 to -0.96], p<0.00001; MxW3: MD=-1.21, 95% CI [-1.80 to -0.62], p<0.0001; MxW4: MD=-1.35, 95% CI [2.37 to -0.34], p=0.009; lower arch length: MD=-0.84, 95% CI [-1.23 to -0.45], p<0.0001). No significant differences were found in upper arch width, upper arch length and palatal height between the OSA group and the snoring non-OSA group (MxW1: MD=-0.23, 95% CI [0.81 to 0.35], p=0.43; MxW4: M =-0.14, 95% CI [-1.09 to 0.80], p=0.7; upper arch length: MD=-0.26, 95% CI [-1.05 to 0.49], p=0.50; palatal height: MD=-0.82, 95% CI [-0.45 to 2.09], p=0.21).

Conclusion: This review shows that children with OSA tend to exhibit slightly narrower upper arches and shorter lower arches compared to children without OSA (differences of between 1mm and 1.5mm). Snoring non-OSA children had similar dental arch morphology compared to children with OSA. However, these findings need to be viewed with caution, as they are of very low certainty, only cross-sectional studies were considered, and the corresponding differences may not be clinically significant.

J Evid Based Dent Pract. 2025;25(1):102056.

What to spot and what not to miss: key anomalies during the developing dentition

Elsherif N, Murthy VE, Moseley H.

The aim of this article is to provide an overview of the disturbances that may affect the developing dentition. The focus is on the key anomalies that dentists should look out for during routine examination of children and adolescents, and the possible adverse sequelae due to a delayed diagnosis. This will help to ensure timely referral of patients to specialist services for early management.

Br Dent J. 2025;239(12):836-842.

Oral manifestations in adolescents with genetic syndromes: a retrospective cross-sectional study

Țenț A, Iurcov R, Moca AE, Moca RT, Țig IA, Matei RI.

Background/objectives: Few studies have comprehensively examined dental anomalies in adolescents with genetic syndromes. This study aimed to assess their prevalence, types, and clinical patterns in a diverse sample of genetically confirmed cases.

Methods: We conducted a retrospective cross-sectional study of 213 patients aged 12 to 18 years with various genetic syndromes, using clinical data originally collected between 2011 and 2014 at a tertiary centre. Clinical examinations were complemented by radiographs when available. Anomalies were categorised by type, and a disproportionality analysis (rate of occurrence ratio (ROR)) quantified risk relative to syndrome representation.

Results: Dental anomalies were present in 68% of adolescents. The most common findings were hypodontia, taurodontism (9%), and enamel hypoplasia (8%). Nearly half of the patients exhibited combined patterns, with hypodontia-taurodontism as the most characteristic combination (14%). Prevalence was particularly high in

trisomy-based (80%) and osteogenesis-related (100%) syndromes. Down syndrome showed the strongest association (ROR 3.95; 95% CI: 2.15-7.25), while some conditions such as Turner, Ehlers-Danlos, and tuberous sclerosis displayed significantly lower rates.

Conclusions: Dental anomalies are both highly prevalent and patterned in adolescents with genetic syndromes. Their co-occurrence and specificity suggest that they may serve as useful diagnostic markers in syndromic evaluation.

J Clin Med. 2025;14(20):7217.

Poor oral hygiene: a hidden risk factor for Helicobacter pylori infection

Background: Helicobacter pylori (H. pylori) initially enters the human body through the mouth. The correlation between oral health and H. pylori infection status remains a topic of debate in the scientific literature. To elucidate the relationships between H. pylori infection and oral hygiene status and habits, we performed a cross-sectional study among dyspeptic patients.

Methods: Data were collected from 362 subjects with dyspepsia symptoms who underwent the 13C-urea breath test (13C-UBT) and the H. pylori antigen test (HPS) to test for gastric and oral H. pylori infections between May and August 2023 at The Second Affiliated Hospital of Xi’an Jiaotong University. The participants completed questionnaires on sociodemographic characteristics, medical history, dyspepsia symptoms, oral hygiene status, and oral hygiene practices. In addition, the participants underwent oral exams involving the simplified oral hygiene index (OHI-S), the debris index (DI-S), the simplified calculus index (CI-S), and the decayed, missing, and filled teeth (DMFT) score.

Results: Oral H. pylori infection status was not associated with sex, body mass index (BMI), education, oral hygiene habits, place of residence, or income. Considering sex and BMI, being over 60 years of age significantly increased the risk of developing oral H. pylori infection (OR=5.51, 95% CI: 1.56-19.46, p=0.0081), whereas a lack of history of antibiotic use was identified as a protective factor (OR=0.45, 95% CI: 0.26-0.77, p=0.0036). Additionally, DMFT >4 (OR=2.54, 95% CI: 1.15-5.61, p=0.0210), 0.67<OHI-S≤1.33 (OR=1.98, 95% CI: 1.09-3.59, p=0.0246), and 0.33<DI≤0.67 (OR=2.00, 95% CI: 1.11-3.62, p=0.0215) were identified as independent risk factors for oral H. pylori infection.

Conclusion: The results of our research indicate a relationship between oral health and oral H. pylori infection, suggesting that poor oral hygiene may be associated with an increased risk of oral H. pylori colonisation.

Int Dent J. 2025;75(3):2115-2121.

A scoping review of hydroxyapatite-modified glass ionomer cements used for restorative dentistry

Objective: Glass ionomer cements (GICs) are considered one of the most suitable materials for restoring tooth cavities due to their unique bioactive properties.

However, their inherently low mechanical strength limits their use as long-term or load-bearing restorations. Researchers have explored incorporating hydroxyapatite (HA) into GICs to enhance their strength and durability. This study aimed to review GICs modified by different forms of HA and their performance as a dental restorative material.

Materials and methods: A structured search strategy using the terms “glass ionomer cement” and “hydroxyapatite” was applied in PubMed, MEDLINE, and Embase to identify relevant studies published in English. A data-charting form was developed by two researchers to capture the key characteristics of eligible studies for inclusion. Extracted data covered HA forms, test methods, and main findings.

Results: The initial search identified 579 articles, and subsequently, 48 articles were included in the final review. The use of HA to modify GICs showed enhancement in mechanical, chemical, and biological properties, particularly in flexural strength and fluoride release. Compressive strength and diametral tensile strength outcomes were variable and influenced by HA proportion, size, morphology, and storage conditions.

Conclusions: HA modification shows promise for reinforcing GICs and improving their bioactivity. However, heterogeneous findings highlight the need for standardised methodologies and clinical trials to validate long-term outcomes.

Clinical significance: This scoping review provides a valuable overview of HAmodified GICs research. Additionally, it identifies potential research areas that can be investigated further to enhance properties of HA-modified GICs for clinical application.

J Dent. 2025;163:106149.

Comparison between crown-to-root ratio and crown-toimplant ratio in natural teeth

Tiwari A, Tomer L, Kumari B, Gupta A, Raj K, Prasad S.

Background: In locations with poor bone quality and significant masticatory pressures, bone resorption after tooth loss inhibits implant implantation. This condition requires augmentation or short implants.

Materials and methods: Fifty low-bone-height patients had single-tooth implants and were observed for 12 months. Radiographs examined crown height, crown-to-implant ratio, and marginal bone loss at baseline, six months, and 12 months. The correlation between crown height and marginal bone loss was examined.

Results: The average crown-to-implant ratio was 1.8:1 in the study. Implant crown heights above 10mm showed increased marginal bone loss. The mean marginal bone loss at six months was 0.25±0.08mm, rising to 0.38±0.10mm at 12 months. Implants with crown heights ≤10mm had considerably reduced bone loss (p<0.05) compared to implants with greater crown heights. Optimised crown height distributed lateral stresses for improved clinical results and implant stability.

Conclusion: Implant-supported prostheses depend on crown height for lateral force distribution and marginal bone preservation. Implants ≤10mm crown height showed decreased marginal bone loss and improved treatment results.

J Pharm Bioallied Sci. 2025;17(Suppl 2):S1550-S1552.

Bridging dentistry and medicine

Dr John Macken is an Academic Clinical Lecturer in oral medicine at Queen Mary University of London. He combines clinical practice with research and teaching at undergraduate and postgraduate levels.

Tell us about your background and what led you to dentistry, and to dental research. My career began with a Bachelor of Dental Surgery at UCC. I was drawn to the blend of clinical practice and academic work, and had a strong sense that this was the direction my career would take. I was fortunate to have early exposure to oral medicine, particularly through the clinical teaching of Dr Christine McCreary, which sparked a lasting interest in the specialty. I commenced specialty training in oral medicine in 2019 across Barts Health NHS Trust and Guy’s and St Thomas’ NHS Foundation Trust. I became increasingly aware of how patients with complex oral conditions oen fall between traditional specialties, and how limited our understanding of these diseases remains. That recognition of unmet clinical need was central in shaping my decision to pursue research.

Can you share the primary focus of your recent research and what inspired you to pursue this topic?

My research has two main strands. The first is clinically driven oral medicine research: understanding the immunobiological drivers of oral mucosal disease. I work in a complex mucosal disease clinic, where I see the debilitating symptoms these conditions can cause and the profound impact on patients’ quality of life. Despite this, they remain relatively under researched, which inspired me to undertake a PhD in the subject. The second strand is dental education. My educational research focuses on curriculum development and assessment, international initiatives such as the World Workshop on Oral Medicine, and leading the development of the objective structured clinical examination (OSCE) for the new tri-collegiate Membership of the Faculty of Dental Surgery (MFDS).

What challenges did you encounter during your study, and how did you overcome them?

One of the biggest challenges was stepping into a highly technical research space without a traditional basic science or computational background. I became, out of necessity, largely self-taught in bioinformatics. Staying clinically grounded kept me focused on who the research was for and why it mattered. I was incredibly fortunate to be surrounded by generous scientists who were willing to teach and support me.

How do you see your research contributing to clinical practice or patient outcomes in dentistry?

I hope that it will shi our understanding of mucosal disease from conditions that are managed largely symptomatically to ones where we better understand the underlying factors driving disease severity, enabling improved patient stratification and, ultimately, more targeted therapies. When patients know that research is being undertaken into their condition, it can really change how they feel about their care and their engagement with the treatment. That in itself is a meaningful outcome.

Are there any misconceptions in the field that your research helps to clarify or correct?

One of the key misconceptions is that conditions such as lichen planus are low impact because the malignant transformation rates are relatively low, or because some forms can be asymptomatic. For many patients with the erosive form, it’s a severe, debilitating condition. Treating all forms of the disease as the same risks underestimating the burden experienced by those with more severe presentations.

Which emerging technologies or methods do you believe will most significantly shape the future of dental research?

I think the integration of transcriptomics, spatial biology and advanced bioinformatics into clinically grounded research will be transformative. The real power comes when these tools are applied to well-characterised patient cohorts rather than isolated samples, to allow us to correlate the clinical and transcriptomic findings. But as the data sets become increasingly complex and vast, having clinical insights is integral to ensuring that interpretations remain relevant and meaningful.

How important is interdisciplinary collaboration in your work, and can you give an example where it made a key difference?

It’s essential. It sits at the heart of oral medicine, which routinely overlaps with areas such as rheumatology, dermatology, and neurology. During my doctoral research, my supervisory team spanned clinical immunology, dermatology, cell biology, and computational biology, with each discipline contributing a totally different perspective. That collaboration was central to the success of the project and continues to influence how I integrate research with patient care.

What advice would you give to young dental researchers just starting out in the field?

Finding the right mentor is key, and that can take time. I would encourage young researchers to remain closely connected to clinical practice and let the questions they encounter in clinic guide their research. You don’t need to be a professor to spot a problem. Don’t be afraid of stepping outside your comfort zone. You don’t need to be an expert at the start, but you do need curiosity, resilience, and a willingness to learn from others.

Outside of your research, how do you maintain balance and well-being in such a demanding field?

Music has always been a huge part of my life. I come from a musical family, and I met my husband through youth orchestra. I play regularly in orchestras and jazz bands around London. Music gives me a completely different way of thinking and being present. It provides balance, perspective, and a sense of community beyond work.

Leopardstown Office Park, Sandyford, Dublin 18.

Turn static files into dynamic content formats.

Create a flipbook