JIDA Volume 69 Number 1 February/March 2023

Page 1

Journal of the Irish Dental Association
JIDA Volume 69 Number 1 February/March 2023 Celebrating 100
Iris Cumainn Déadach na hÉireann
YEARS OF THE IDA

HONORARY EDITOR

DEPUTY EDITOR

EDITORIAL BOARD

Dr Cristiane da Mata BDS MFD (RCSI) Dip TLHE MPH PhD journaleditor@irishdentalassoc.ie

Dr David McReynolds BA BDentSC MFDS RCSEd DChDent (Pros) FFD RCSI

Dr Meriem Abbas BDS (NUI) MFDS RCSEd

Dr Mirza Shahzad Baig BDS MSc (UK) PhD (TCD)

AnnMarie Bergin RDH

Dr Evelyn Crowley BDS (NUI) MSc (ULond) DDPHRCSEng MSc (TCD)

Dr Laura Kavanagh BDS Dip Clin Dent

Dr Geraldine McDermott BA BDentSc MFDS (RCSI)

PGradDip ConSed (TCD) MSc Healthcare Leadership (RCSI)

Dr Clair Nolan BDS (NUI) MSc (Endo) U. Lond

Dr Judith Phelan BDS (NUI) MDS (NUI) MSc (U Lond) MRD (RCS Eng and Glas)

Dr Catherine Vaughan BDS (NUI)

IDA PRESIDENT Dr Caroline Robins

IDA CHIEF EXECUTIVE Fintan Hourihan CO-ORDINATOR Liz Dodd

The Journal of the Irish Dental Association is the official publication of the Irish Dental Association. The opinions expressed in the Journal are, however, those of the authors and cannot be construed as reflecting the Association’s views. The editor reserves the right to edit all copy submitted to the Journal. Publication of an advertisement or news item does not necessarily imply that the IDA agrees with or supports the claims therein. For advice to authors, please see: https://jida.scholasticahq.com/for-authors

Th!nk Media

Published on behalf of the IDA by Think Media, 537 NCR, Dublin 1

T: +353 1 856 1166 www.thinkmedia.ie

MANAGING EDITOR Ann-Marie Hardiman

ann-marie@thinkmedia.ie

EDITORIAL Colm Quinn colm@thinkmedia.ie

ADVERTISING Paul O’Grady paul@thinkmedia.ie Calum Petit calum@thinkmedia.ie

DESIGN/LAYOUT Rebecca Bohan, Tony Byrne, Meliosa Fitzgibbon

Audit issue January-December 2021: 3,960 circulation average per issue. Registered dentists in the Republic of Ireland and Northern Ireland.

Irish Dental Association Unit 2 Leopardstown Office Park, Sandyford, Dublin 18. Tel: +353 1 295 0072 Fax: +353 1 295 0092 www.dentist.ie Follow us on Facebook (Irish Dental Association) and Twitter (@IrishDentists).

Cover photograph: Dentist’s chair, RCSI, Dublin. Photograph by Philip Pankov. First published in RCSIsmj. 2008;1(1):87.

IDA Members: FREE • Non-Members: €120/£100 per annum Digital copies: FREE • email subscribe@irishdentalassoc.ie

A sagittal split osteotomy approach for removal of a large cementoblastoma at the mandibular angle M. Cotter, Z.G. Khattak, C. Cotter 36

CONTENTS Journal of the Irish Dental Association | February/March 2023: Vol 69 (1) 3 29 23 17 50 5 EDITORIAL 100 years of the IDA 7 ASSOCIATION NEWS 9 NEWS Happy birthday IDA; Dáil debate highlights crisis in DTSS 12 BUSINESS NEWS All the latest from the trade 14 NEWS FEATURE Huge savings for IDA members 17 FEATURE A proud history of dental education in Ireland 23 PRACTICE MANAGEMENT Starting out as a dentist 24 QUIZ 29 CLINICAL TIPS Glass ionomer fissure sealants
31 PEER-REVIEWED
PEER-REVIEWED
Gallagher 40 CLINICAL FEATURE Periodontal disease in the older patient 44 ABSTRACTS 46 CLASSIFIEDS 50 MY IDA Prof. Mary Hegarty 25 MEMBERS’ NEWS 4 IDA Annual Conference 2023 4HR update MEMBERS ONLY
Oral lymphoma: a report of two contrasting cases S. Meda, E. Houlston, J.
CONTINUE TO RECEIVE THIS JOURNAL
2023
MEMBER

100 years of the IDA

The JIDA is beginning a year of centenary coverage, and launching a new online publishing platform.

This is a very special year for the Association, which is preparing a series of events to celebrate this important milestone. These include a book, to be launched at the IDA Annual Conference in May, a short documentary and a number of podcasts. We in the JIDA are very excited to be part of this journey (since 1934) and are planning a number of features about the past 100 years of dentistry in Ireland. To start, we will take you through the history of the four dental schools on the island of Ireland. Future editions will continue the theme, with features on the history of the IDA, women in dentistry, the changes in oral health in Ireland, and the future of dentistry.

Dental education

It is needless to say that the past century has been unprecedented in terms of the speed at which the world has changed. And this has obviously been reflected in the way we teach and practise dentistry in Ireland and worldwide. From the development of tooth-coloured materials to the widespread use of fluoride and implants, the impact of these changes on clinical teaching and practice have been substantial. Who would have thought 100 years ago that we would be using digital X-rays, 3D printing and intra-oral scanners as we do today? And obviously the oral health of the population has also improved as a consequence. Keeping your own natural teeth into old age would have sounded absurd 100 years ago. All these advances have made the teaching of dentistry more sophisticated and somewhat challenging worldwide. In an interesting article about the evolution of dental education over the past century, Field highlights how dental training in the past was done through apprenticeship in many countries – purely self-taught and with self-proclaimed competency. This has been replaced by years of formal instruction.1 In Ireland, the first dental schools were founded shortly before the IDA’s formation in 1923, and have faced many challenges over the past century. I have listed below some interesting facts covered in the article, ‘A proud history of dental education in Ireland’, which I commend you to read:

1913 – Cork Dental School and Hospital (CDSH) is established

1914-1918 – 39 staff and students (former and contemporary) of CDSH lose their lives during World War I

1920 – The dental school at Queen’s University Belfast is established

1920 – The first lectureship posts advertised at Queen’s are in: “Dental Surgery, Dental Mechanics, Orthodontia as it was called then, and Materia Medica and Metallurgy”.

1934 – The first X-ray equipment is purchased by the Dublin Dental School

1946 – Dublin establishes its first postgraduate training in orthodontics

1963 – The Faculty of Dentistry at the Royal College of Surgeons in Ireland (RCSI) is established

1966-1969 – Dr Adrian Cowan is dean of the RCSI and one of the founders of the Association of Dental Education in Europe

1991 – The first dental hygiene course in Ireland is introduced in Dublin

This edition also includes four academic articles on different and important areas. The clinical tip describes the use of glass ionomer composite for fissure sealants. In the clinical feature, Prof. Roberts and Prof. Milward discuss the burden of periodontal disease on older patients, raising important points about the diagnosis and management of this disease. Finally, the two peer-reviewed articles cover the surgical management of a large cementoblastoma, and the diagnosis and management of oral lymphoma.

Last but not least, I would like to point you to the interview with a woman ahead of her time: Prof. Mary Hegarty. Prof. Hegarty, who was an IDA member throughout her career, and regular attender at IDA meetings, is a true inspiration to women in the profession, paving the way for those coming after her.

JIDA news

A challenge I encountered when taking up the role as the editor of the JIDA was that the Journal had lost its Pubmed accreditation around 2019. The Journal did not meet Pubmed’s contemporary requirements to be indexed again (which basically called for a much higher number of published articles per year than we are able to deliver at the moment).

I am therefore delighted to announce that following efforts to maintain our academic integrity, we now have a new online platform via Scholastica, and all articles published in the JIDA will be assigned DOIs (digital object identifiers). This makes them more searchable and discoverable online, and easily citable through databases like Google Scholar. We will ensure that all previously published peerreviewed articles since 2019, and all future articles moving forward, will be assigned a DOI.

We also continue to invite submissions for clinical tips and clinical features. To visit the Journal’s new webpage, go to www.jida.scholasticahq.com.

Reference

1 Field, M.J. (ed.). Dental Education at the Crossroads: Challenges and Change Washington DC; National Academies Press (US), 1995.

5
EDITORIAL Journal of the Irish Dental Association | February/March 2023: Vol 69 (1)

Challenges of a century still haunting dentistry in Ireland today

As the Irish Dental Association prepares to mark its centenary year, it is fitting to reflect on the ghosts of dentistry past, present and yet to come.

In 2023, the Irish Dental Association celebrates its 100th year and a history that is intrinsically linked with the foundation of the Irish State, and decisions made – for better or worse – by successive Governments and policymakers over this period.

National School Screening Programme

Take, for example, dental screening in schools. The first Governor General of the Irish Free State, T.M. Healy, advocated for enhanced dental treatment for school children both at the Irish Dental Association’s inaugural AGM and in the Oireachtas a century ago. Back then, it was observed that dental disease had a highly detrimental effect on economically and socially disadvantaged populations, which could be alleviated by giving proper attention to the health of children’s teeth. As a result, the promotion of a public dental service was prioritised by the Government to address the health of the nation.

By 1935, medical inspection schemes for national schools had been introduced in the four county boroughs and in 18 counties of the Free State. The scheme covered over 80% of the national school population and plans were made to complete the roll-out the following year. Today, however, we find ourselves with a school screening service that is virtually non-existent and where thousands of children are awaiting care. Indeed, in some parts of the country, there is a backlog of almost 10 years in accessing the service. There are currently two-year waiting lists for treatments requiring general anaesthetic.

Understaffing and a lack of resources in the public dental service are being blamed for the delays, with the numbers of practising public-only dentists having decreased from 330 in 2006 to 254 in 2022. At a minimum, the HSE would need to hire 76 dentists immediately to the bring the service back to the level it was at 15 years ago.

Shortage of dentists

As we enter our centenary year, a staffing and resourcing crisis in the dental sector is the single biggest issue facing dentists and, unless addressed, will mean that access to important dental care – particularly for those most vulnerable in our society – will become more and more challenging.

But this isn’t anything new. As far back as the late 1930s, Ireland was grappling with a shortage of dentists. Addressing members at the AGM in 1942, Donough O’Brien, President of the Irish Dental Association, put starkly that: “Dentists were one of the exports of the country as a considerable number, when qualified, were compelled to emigrate to seek a livelihood”. Back then, the issue wasn’t with producing dentists – who passed through our universities in healthy numbers – it

was holding onto them. Our dental schools in University College Cork (UCC) and Trinity College Dublin have not seen any significant expansion or investment in decades and, fundamentally, do not produce enough dentists or dental practitioners to meet patient demands. While promised, the planned development of a new dental school in UCC has not seen any progress since Minister Simon Harris turned the sod on the development in 2019.

But that’s only part of the problem. These schools rely on the fees generated by international students; last year, 50% of the 300 students enrolled in our dental schools in Cork and Dublin were from overseas, and in recent years this effectively means that barely half of the 70 dentists who graduate opt to practise in Ireland. This compares with the situation where 60 students were enrolled 80 years ago in the Republic and ultimately chose to practise locally for the long term. We estimate that we need hundreds more dentists, hygienists and dental nurses to meet the needs of a rising population and to replace retiring dentists from both the public and private sectors.

Decisions of the past still haunt us today

These are the impacts of Governments past and present that still haunt us today. And the list goes on. A vocational training scheme for dental graduates was abolished. Dental nurses were added to the list of ineligible occupations for work permits, meaning that no non-EEA dental nurse can get a work permit to work in Ireland.

Legislation to regulate dentistry has been promised for many years without any sign of a new Bill imminent.

The medical card scheme was established in 1994 and, following the financial crisis of 2008, reimbursement levels to dentists were reduced and treatments available to medical card holders were suspended or made available in emergency cases only. Perversely, this scheme – which predates the internet and mobile phones – dictates what materials dentists can use and what procedures can be carried out. Only teeth extractions are unlimited. There are now barely 600 dentists operating this scheme for 1.5m adults nationally.

Our call, as we move into our centenary year, is once again directed to our Government and, in particular, the Minister for Health, not only to join us in reflection, but to be the catalyst for positive action and critical reform. We all have a choice to either learn from the past and change, or allow history to continue to repeat itself. As we reflect on the past 100 years of dentistry in Ireland, we hope that our policy makers do likewise.

Journal of the Irish Dental Association | February/March 2023: Vol 69 (1) 7
OPINION

Annual Conference 2023

Our centenary Annual Conference will take place in the Lyrath Estate in Kilkenny from May 11-13. Here are some of the highlights:

Suturing hands-on workshop

The IDA is delighted to welcome back Dr John Alonge, maxillofacial surgeon, Pennsylvania, who will give a half-day hands-on course in suturing techniques and a lecture on handling surgical complications. It is rare to have an expert surgeon give a hands-on course in suturing and this course is sure to sell out. Numbers are limited so delegates are advised to book early.

Hands-on course – endodontics

The last few places are still available for our hands-on endodontics course with Dr Eoin Mullane, in Limerick on Friday, February 24. This one-day course in conjunction with Coltene will take place in the South Court Hotel, Limerick. To book and to see the full course outline, please go to www.dentist.ie.

Webinars

Our monthly webinars continue for 2023. Our first webinar of the new year will take place on Wednesday, February 22, via Zoom. Full details to follow.

Colgate Caring Dentist Awards 2023

The IDA is delighted to announce that the Colgate Caring Dental Awards will continue for 2023. Details of the competition will be forwarded to dental practices nationwide. Remember to ask your patients to nominate you. The Awards will take place in November 2023 – date to be confirmed.

HSE Seminar 2023

The Annual HSE Dental Surgeons Seminar will take place this year at the Midlands Park Hotel, Portlaoise, on October 12-13. Make sure to put the dates in your diary.

Radiation Protection Officer course – a must for every dentist

In many cases, the practice owner assumes the role of Radiation Protection Officer (RPO) without any of the formal training that is required. Well here is your one and only chance to avail of this training by oral radiology expert Dr Andrew Bolas. Under the legislation here in Ireland, every dental practice must have a competent RPO assigned. This half-day course will definitely book out and it is your best opportunity to get certified in this area. Don’t delay and book now.

Past Presidents’ Lunch – Friday, May 12

Our Past Presidents’ Lunch is moving to Friday this year and we hope as many Past Presidents of our Association as possible can attend. 2023 marks our 100th year as an Association and it would be fantastic to have a large group of Past Presidents in attendance.

President’s Golf – Mount Juliet

The President’s Golf competition takes place in the majestic surroundings of Mount Juliet, a short trip from Kilkenny City. Golf takes place on Thursday, May 11, but some tee times have been reserved on Wednesday for those involved in pre-Conference courses. Tee times are limited so please book early.

Journal of the Irish Dental Association | February/March 2023: Vol 69 (1) 9
NEWS MedAccount offer a full range of specialist dental accounting support and advisory services for Associates, Principals, Expense Sharing Partners and Hygienists. MedAccount Services S20, The Pottery, Pottery Road, Dun Laoghaire, Co. Dublin. Tel: 01 280 6414 Email: info@medaccount.ie Will you still be smiling at the end of the year? Make sure your practice is profitable in 2023 As Ireland’s only specialist dental accountants we’re here to help you control your practice costs QUARTERLY ACCOUNTS PAYROLL SERVICES TAX CONSULTANCY COST OF TREATMENT FIRST CONSULTATION FREE First consultation FREE OF CHARGE with no obligation to engage

Medical emergencies

Are you up to date with your medical emergencies (BLS or ILS) training? Remember, if you use sedation in your practice, you must complete the ILS training programme. The IDA will be running courses in both Dublin and Cork on the following dates:

Dublin

ILS Friday, April 28

BLS Saturday, April 29

Cork

ILS Friday, June 16

BLS Saturday, June 18

Dáil debate highlights crisis in DTSS

On January 19, an extensive motion on dentistry and oral health, brought by the Regional Group of TDs, was debated in Dáil Éireann. Presented by Verona Murphy TD, the motion called on the Dáil to acknowledge the importance of

good oral health, and the preventable nature of many oral health conditions. It cited the crisis in the DTSS, and several other issues affecting dentistry, such as the long waiting lists for treatment, staffing shortages across the profession, and issues in dental screening for primary school-aged children. The motion called for a range of actions from Government, including: improving access to dental care in an equitable and sustainable manner for all; reforming the dental tax relief scheme (Med 2); and, review, reform and implementation of a renewed DTSS with the engagement of all stakeholders.

In a debate that continued for over two hours, several TDs spoke of the difficulties experienced by their constituents in accessing essential dental care, and called on the Government to address these issues urgently.

In response, Minister for Health Stephen Donnelly TD outlined some of the measures being taken by his Department. He said that additional funding has been allocated to dentistry, and that the Department is now proceeding with the implementation of Smile agus Sláinte, the national oral health programme. He said that the call for overhaul of the DTSS had been heard, and is something the Department is undertaking now.

The motion, which was passed by the Dáil, represents a very significant step in bringing the concerns of dentists and their patients onto the wider political agenda. The Association welcomes the commitment of the Regional Group of TDs in bringing such a detailed motion to the floor, which reflected so many of the IDA’s concerns. This was a unique political moment, and the IDA will continue to engage with TDs and all stakeholders to raise these important issues.

The IDA was represented by President-Elect Dr Eamon Crowe and CEO Fintan Hourihan, who attended the debate in the public gallery.

A full transcript of the debate is available from: https://www.oireachtas.ie/en/debates/debate/dail/2023-01-19/44/.

Happy birthday IDA!

On January 12, the IDA celebrated its centenary birthday at IDA House. Members of the HSE Dental Surgeons Committee were there to take part in the celebrations, which launch a year of events commemorating the centenary of the establishment of the Irish Dental Association in 2023.

NEWS 10 Journal of the Irish Dental Association | February/March 2023: Vol 69 (1)
From left: IDA CEO Fintan Hourihan; Dr Grainne Dumbleton; Dr Bridget Harrington Barry; Dr Siobhan Doherty; Dr Ade Obikoya; Dr Feleena Tiedt; Dr Sharon O’Flynn; Dr Aoife Kelleher; and, Dr Maura Cuffe.

Coltene’s wide range

Coltene states that two products from its restorative line are better than one. According to the company, combining SoloCem, the universal dental cement, with the One Coat 7 Universal bonding agent will give you reliable, maximum adhesion. The company also highlights its HyFlex EDM file system and CanalPro Jeni for endodontics. Coltene states that CanalPro Jeni works like a car sat nav, for autonomous navigation of the root canal. According to Coltene, the HyFlex files respect complex anatomy, rather than imposing on it, for safe and highly conservative preparations that preserve viable, healthy tissue. Another product available from the company is Brilliant EverGlow, which Coltene states produces highly aesthetic and long-lasting restorations. According to the company, its good wettability means minimal stickiness to the instrument for excellent sculptability.

BUSINESS NEWS 12 Journal of the Irish Dental Association | February/March 2023: Vol 69 (1)

Henry Schein supporting Ronald McDonald House

Green initiative from Henry Schein

Henry Schein Ireland has announced Practice Green, an initiative that it states is designed to encourage dentists and dental workers to become more ecofriendly and to help empower the healthcare community to establish sustainable practices for a healthier planet.

According to Henry Schein, Practice Green aims to offer customers solutions that will help implement practical ways to become more sustainable, while following the current health and safety legislation, and continuing to provide high-quality patient care. The company states that products provided in the Practice Green portfolio have been carefully selected by Henry Schein as ‘green’ based on the marketing information provided by the supplier. This means that they are reusable, contain recycled materials, can be recycled, are biodegradable, or come from a sustainable source. See: https://www.henryschein.ie/dental-ie/practice-green.aspx?sc_lang=enie&hssc=1.

BUSINESS NEWS Journal of the Irish Dental Association | February/March 2023: Vol 69 (1) 13
From left: Henry Schein’s Christina Guildea and Siobhán Cleary, with Jenny Farrell from Ronald McDonald House. As part of Henry Schein’s Holiday Cheer for Children programme, the company donated 70 gifts to Ronald McDonald House, which provides a place to stay in Dublin for the families of sick children who are in hospital in the city.

Huge savings for IDA members

A new report shows that IDA members can save up to €2,100 by availing of the many discounts and services offered by the Association.

The IDA recently commissioned professional consulting firm Crowe to independently assess the financial benefits of being an IDA member, and the results clearly show a significant benefit for members who avail of the full range of discounts and services. The IDA asked Crowe to undertake an external review and validation of the financial and other benefits of IDA membership for dentists in private practice, to demonstrate the value for money of the membership fee. Crowe carried out this work by:

n verifying a sample of the promotions and discounts available to IDA members;

n engaging with a small group of members from a range of practice types and locations to assess how they have financially and qualitatively benefited from membership; and,

n modelling the financial benefits for a number of scenarios based on different member types.

IDA services and benefits

The IDA offers a range of financial and other benefits exclusively to members, including both services and financial savings. Some of these benefits can be availed of on an annual or regular basis, while others can be classed as one-off or occasional discounts.

Annual/regular discounts include:

n credit card merchant services discounted rates in association with AIB;

n discounted CPD courses;

n discounted landline and broadband packages with 3Mobile;

n discounted professional indemnity insurance in association with Dental Protection;

n free access to the Journal of the American Dental Association;

n income protection in association with Omega Financial Management; and,

n motor, home and dental surgery insurance in association with Doyle Mahon Insurance.

Once-off/occasional discounts include:

n access to confidential employment law advice;

n discount on purchase of automated external defibrillators (AEDs) from Heart Safety;

14 Journal of the Irish Dental Association | February/March 2023: Vol 69 (1)
NEWS FEATURE
“The IDA offers a range of financial and other benefits exclusively to members.”

n discount on supply of medical oxygen from Irish Oxygen;

n practice website design and maintenance; and,

n reduced advertising rates in the Journal of the Irish Dental Association and on the IDA’s website.

Financial benefits of membership

The results of the research by Crowe show clearly that there are significant financial benefits to becoming an IDA member. Members surveyed were saving an average of ¤640 annually on professional indemnity insurance alone, with further savings of ¤375 on employment law advice, ¤75 on classified adverts, and ¤330 on CPD, on average, noted by dentists.

Crowe also modelled a number of scenarios to estimate the possible savings for IDA members:

Scenario 1: small rural practice in Leinster

In Scenario 1, a dentist availing of professional indemnity insurance, income protection, CPD, and purchase of an AED, could save up to ¤955 annually as an IDA member, compared to a non-member.

Scenario 2: medium practice in an urban setting in Munster

The practice in Scenario 2, if availing of professional indemnity insurance, credit card merchant services, purchase of medical oxygen, CPD, and classified adverts, could save up to ¤1,589 as an IDA member, compared to a non-member.

Scenario 3: large practice in Co. Dublin

Finally, in Scenario 3, a practice availing of professional indemnity insurance, credit card merchant services, landline and broadband package, CPD training, and classified adverts could save up to ¤2,136 as an IDA member, compared to a non-member (Figure 1).

Feedback from members

Members who were surveyed as part of this research stated that

representation of the profession in negotiations with Government, the HSE and other bodies was the top reason they joined the Association. The opportunity of networking with other members, and the IDA’s excellent CPD courses, were also praised by members.

However, financial benefits are also important, with all dentists interviewed expressing the view that they felt they were financially better off by being a member of the IDA than if they were not a member. The discounts on professional indemnity insurance in particular were quoted by members as a major financial benefit.

It all adds up

This new research by Crowe clearly shows that membership of the IDA carries considerable financial benefits: members can expect to at a minimum save the cost of the membership fee, and typically considerably more.

Responding to the research, IDA Chief Operating Officer Elaine Hughes said: “Over time, the IDA has built strong relationships with a number of providers who offer a very high standard of products and services to our members at significant discounts. We work constantly to maintain, and build on, these relationships, so that in addition to supporting dentists, and advocating for dentistry in Ireland, membership of the Irish Dental Association is fantastic value for money.

“The IDA is also the leading provider of CPD for dentists and the whole dental team in Ireland. During the pandemic we expanded our offering to include regular webinars, and these will continue alongside the return to in-person seminars and hands-on courses. Our Annual Conference brings the very best of Irish and international speakers together every year to share their knowledge and experience. Significant discounts on CPD courses, and the Annual Conference, are offered to IDA members, so it’s another strong incentive to be a member of the IDA”.

A separate review of the benefits of membership for public service dentists will be carried out at a later date.

To join the Association today, please contact Cindy at cindy@irishdentalassoc.ie or 01-525 3068.

NEWS FEATURE 15 Journal of the Irish Dental Association | February/March 2023: Vol 69 (1)
“Over time, the IDA has built strong relationships with a number of providers who offer a very high standard of products and services to our members at significant discounts.”
FIGURE 1: IDA members can save over ¤2,000 on essential products and services.

A proud history of dental education in Ireland

Most of the dental schools in Ireland were established shortly before the IDA’s formation in 1923. Here we share their rich history training generations of dentists.

2023 marks the IDA’s centenary. Throughout the year, the JIDA will feature articles on the Association’s history and, to start things off, we look at the history of the four dental schools on the island of Ireland. We spoke to the heads of the schools about their particular institutions.

Dublin Dental University Hospital

Dublin’s first dental hospital opened in 1876 in York Street. In 1889, the dental hospital moved to its current location at Lincoln Place at Trinity College Dublin. It is not entirely clear when the School of Dental Science at Trinity was established, but it was given the authority to grant a degree and licentiate in 1904. The 1910s were a difficult time for the fledgling school. Following World War I, there was the Spanish Flu epidemic, which resulted in the closure of the dental hospital for a few months in 1919. A report from the time states that there were only 52 students that year, although numbers recovered to around 97 in 1923. In 1934, X-ray

equipment was first purchased and a postgraduate course in orthodontics was established in 1946.

One of the longest-serving deans was D.L. Rogers, who was at the helm from 1924 to 1952 and led the school through times of extraordinary upheaval around the world. In 1963, the hospital expanded, filling a number of consultant posts. In 1977, Trinity became the sole institution where someone could train to become a dentist in Dublin, following the closure of the undergraduate dental schools at

Journal of the Irish Dental Association | February/March 2023: Vol 69 (1) 17 FEATURE
Weir Hall in the DDUH in 1936, now the new hospital library.* The graduation group from 1951 at Earlsfort Terrace. Back row (from left): Joe Walsh; Pat Tempany; Dermot Nolan; Una Nic Grionna; and, George McDonald. Front row (from left): Tom McGinty; Brian Beirne; Tony Rogers; Donal O’Connell; and, Augustus Fox.*

RCSI and UCD. Prof. Rodney Dockrell was a professor of orthodontics in the dental school and dean at that time.

Prof. Blánaid Daly, Head of School and Dean of Dental Affairs at Trinity College Dublin, explains: "The Dublin Dental Hospital is overseen by an independent board set up by the Minister for Health, and the hospital, together with the School of Dental Science at Trinity, is embodied in an educational entity called the Dublin Dental University Hospital (DDUH)".

The School of Dental Science is responsible for education and research, while the dental hospital is responsible for delivery of clinical training.

Blánaid talks about some of the prominent figures who have driven the DDUH forward over the years. Prof. Diarmuid (Derry) Shanley was dean from 1985-2000, and he was one of the biggest drivers of change, expansion and consolidation. One of his biggest innovations was the introduction of problem-based learning (PBL).

During Shanley's time as Dean, the very existence of the DDUH was under threat. It was felt that there were too many dentists in Ireland. Blánaid explains that a powerful case was made to retain the DDUH, led by Shanley and other senior dental academics in Trinity, and with their efforts the DDUH lived to teach another day.

In 1991, the school was the first in Ireland to introduce a training course in dental hygiene, led by Dr Denise MacCarthy and Karen Nyland.

In 1994, the DDUH was refurbished and extended. The new building led to great developments in undergraduate dental education led by Dr Jacinta McLoughlin, and the introduction of new allied dental teaching programmes, so that by the early 2000s all members of the dental team were trained at the DDUH. The DDUH was further expanded in 2005 and 2006, creating more office and research lab space.

The DDUH has been a notable contributor to dental research nationally and internationally, with Prof. David Coleman leading international research in

translational microbiology and Prof. Noel Claffey leading in periodontology. Two former deans, Prof. John Clarkson (2002-03) and Prof. Brian O Connell (2021-22) have served as President of the International Association of Dental Research (IADR).

The DDUH got its first female dean, Prof. June Nunn, in 2009. She was also the first professor of special care dentistry, and Blánaid says: “I think it's true to say that Prof. Nunn pioneered the place of special care dentistry by introducing training at undergraduate level here in Dublin, and also by introducing the first specialist training programme in Ireland”.

Today, the school is a very dynamic educational and research environment. It is thriving and was recently ranked in the top 70 dental schools in the world according to the 2022 QS rankings.

FEATURE 18 Journal of the Irish Dental Association | February/March 2023: Vol 69 (1)
The main conservation room in the old Cork dental hospital circa 1930/31. CUDSH historian Ray Gamble stands behind the centre dental chair with patient, while teaching pioneer Denise Quinlan stands to his right in front of the basin.** The graduation of the first dental nursing class from the CUDSH in 1971.**

Cork University Dental School and Hospital

Cork University Dental School and Hospital (CUDSH) was first established in 1913, with academic courses provided at UCC and clinical training undertaken in the North Infirmary on the north side of Cork City. The current facility dates from 1982 and is situated on the same site as Cork University Hospital.

The first Dean of the CUDSH was local dentist Hubert O’Keefe and on March 7, 1913, the UCC Medical Facility approved the degree of Bachelor of Dental Surgery.

In World War I, 39 staff and students (both former and contemporary) lost their lives. During the War of Independence, Cork became a centre of guerrilla warfare against Crown forces, with the North Infirmary treating many casualties.

Understandably, it was a slow start for the school, which took on between two and five students annually in its first decade. Numbers remained low and when the Great Depression hit, there were no students enrolled from 1930-32. Following the end of World War II, the British Government established the NHS, which created huge demand for dentists and in turn led to increased enrolments at the CUDSH. Emigration to Britain by Irish dentists would continue for many years.

By 1970, the dental hospital in the North Infirmary was showing its age and that same year, a Government report suggested closing the CUDSH and

moving all dental undergraduate training in the State to Trinity College Dublin. Following a campaign of political pressure and student protest, then Minister for Education Richard Burke announced that the State would maintain a dental school in both Cork and Dublin.

Construction of the new dental hospital began in 1977. It was due to open in 1981, but disaster struck when a fire broke out, which delayed its opening to 1982.

That school building is now showing wear and tear. Prof. Paul Brady, Dean and

FEATURE 19 Journal of the Irish Dental Association | February/March 2023: Vol 69 (1)
The first Dean of the CUDSH was local dentist Hubert O’Keefe and on March 7, 1913, the UCC Medical Facility approved the degree of Bachelor of Dental Surgery.

Irish dental education timeline

1876 1878 1878 1889 1904 1913

Dublin Dental Hospital moves to Lincoln Place

Trinity College Dublin is given the authority to grant a degree

Cork University Dental School and Hospital opens

Head of School at the CUDSH says: “Over the last number of years, there's been a plan to build a new dental school and hospital at Curraheen. Planning permission has been granted for the new facility; however, due to an increase in construction costs the build is on hold at present. We are hoping for news from the Government to get extra funding to go ahead and build a new school and hospital. This will enhance dental education, patient care and research nationally and internationally”.

Since the 1980s, dentistry has become more specialised on the site, says Paul: “We now have more specialists on staff than there were during my training. So, the scope of practice here at the CUDSH has evolved in line with how dentistry has evolved”.

The school now offers specialist postgraduate programmes in oral surgery, orthodontics, and dental public health, and research is conducted through considerable PhD activity. Paul explains where the school stands today: “It was built for somewhere in the region of 32 to 35 dental students. Today, we would have 60 students in a class. We're still taking somewhere in the region of about 30 EU students through the CAO system, with the others being international

students. We also train dental hygienists and dental nurses, who play a vital role in the dental team”.

The main ambition for the future is to build a new school and hospital. Other aims are to integrate digital dentistry into the teaching methods, and increase the student numbers (particularly CAO students) to help tackle the shortage of dentists in Ireland. There's a shortage of dental nurses and dental hygienists as well, and Paul says: “My ambition would be that we increase our offering there and advance the quality of our programmes, by increasing staffing and greater use of new technologies”.

The Faculty of Dentistry, RCSI

The Faculty of Dentistry (FoDRCSI) was established in 1963 as part of RCSI, University of Medicine and Health Sciences. The RCSI was established in 1784 by Royal Charter, where dental surgeons had been trained alongside their medical counterparts to “educate, nurture and discover for the benefit of human health”.

Prof. Albert Leung, Dean of the FoDRCSI, said that training in dentistry in Ireland was formalised by the Dentists Act 1878. RCSI then trained and qualified dentists

20 Journal of the Irish Dental Association | February/March 2023: Vol 69 (1) FEATURE
Dublin’s first dental hospital opens at York Street The first Dentists Act is enacted Dentists are trained at RCSI The first board of the Faculty of Dentistry, RCSI, in November 1963. Back row (from left): J. Scott; F. Dunkin; P.J. Stoy; N.P. Butler; J.B. Lee; C. O’Malley; A. Ganly; and, J. E. Keith. Front row (from left): A. Cowan; T. Millin; R. Dockrell; E. McDermott; and, J.F. Owens.*

1920 1963 1977 1982 1994

Dental school at Queen’s University Belfast opens

Faculty of Dentistry at RCSI is established

Undergraduate dental programmes at RCSI and UCD close

New CUDSH opens DDUH undergoes renovation and extension

for more than three years; and, d) Specialist Fellowships of the Faculty of Dentistry or General Dental Surgery, following appropriate higher training in oral surgery, oral medicine, orthodontics, paediatric dentistry, prosthodontics, endodontics, periodontics, or general dental surgery.

As an integral partner with its sister surgical royal colleges (RCS England, Edinburgh and Glasgow), RCSI also offers the Intercollegiate Specialty Fellowship Examination (ISFE).

Prof. Leung says that throughout the Faculty’s 60-year history, it has always been led by the dean, the executives and the Faculty board. He highlights a number of past deans who have been seminal to the Faculty’s successes. Dr Adrian Cowan was the second Dean between 1966 and 1969. He was a visionary of dental education

between 1878 and 1977 as the second oldest dental school in western Europe and awarded the LDSRCSI. The current FoDRCSI is exclusively a postgraduate faculty, and is a recognised training body under the Dentists Act 1985.

The FoDRCSI offers a wide range of popular, structured and quality-assured postgraduate dental qualifications by examinations. They are: a) Diploma of Primary Care Dentistry for newly qualified dentists; b) Membership of the Faculty of Dentistry for those at least two years qualified who are ready to embark on higher training; c) Membership in General Dental Surgery for those in primary care practice

21 Journal of the Irish Dental Association | February/March 2023: Vol 69 (1) FEATURE
The current Faculty of Dentistry at the RCSI is exclusively a postgraduate faculty, and is a recognised training body under the Dentists Act 1985.
The RCSI Medical School building.

and one of the founders of what we now know as the Association of Dental Education in Europe. Prof. Norman Butler, Dean during the 1980s, propelled the Faculty forwards, enhancing the quality of its offerings. Dr Leo Heslin was Dean between 1987 and 1992. He was a superb clinician who was widely respected. Under his leadership, the primary care training pathway via the MGDS qualification was established at the Faculty.

Prof. John McGimpsey from Queen’s University Belfast was Dean from 1997-2000 and it was with him that Prof. Leung first became involved with the Faculty. Dr Peter Cowan was Dean between 2000 and 2004 and expanded the Faculty’s education and examinations offerings internationally, most notably in the Middle East. Prof. Gerard Kearns, Dean between 2011 and 2014, introduced the Diploma in Primary Care Dentistry. Successive deans have continued to expand the Faculty. In 2019, the Faculty had strong academic practice and examination links in Ireland, the UK, Sweden, the USA, Kuwait, Bahrain, Jordan, Qatar, the UAE and Sudan. Prof. Leung became Dean in 2020, four weeks before Covid lockdown. The Faculty faced unprecedented challenges. With an extremely supportive Board and brilliant colleagues, the Faculty quickly established a fully functional ‘virtual office’. It swiftly established innovative bespoke online academic offerings with teachers around the globe. It internationalised its inverted and hybrid teaching programmes linked to the learning outcomes of its 100% EU compatible qualifications. It reformed the formats of its examinations and moved them online via non-AIproctoring, continuing to assess the entire blueprint via triangulated and standard set assessments.

In 2021, there were over 2,000 candidates from 30 countries who entered the Faculty’s examinations. Over the same period, the Faculty conferred 1,023 qualifications. The Faculty currently has over 3,500 fellows, members, diplomats and affiliates globally.

Prof. Leung’s three years as Dean will come to an end in March 2023, when Prof. Chris Lynch will be taking over.

Queen’s University Belfast

Dental education at Queen’s University Belfast is currently delivered in the Centre for Dentistry, which is part of the School of Medicine, Dentistry and Biomedical Sciences. A dental school in Queen’s was first established in 1920. There were dental undergraduates enrolled at the university prior to that date, but these students had to complete their clinical training to become dentists elsewhere.

Once the university’s governing Senate approved a dentistry degree in 1920, the first task was to advertise lectureships. Prof. Chris Irwin, Centre Director, recalls that these first posts were noted as: “Lectureships in Dental Surgery, Dental Mechanics, Orthodontia as it was called then, and Materia Medica and Metallurgy – different terms than we’re used to today. The members of staff took up their

posts on October 1, 1920 – the date that could be considered as the beginning of the dental school at Queen’s”.

Around the same time as dental education officially began, the Royal Victoria Hospital recruited two dentists onto its staff. There were no dental clinics in those days, so two dental chairs were bought and dental clinics ran in a borrowed pathology laboratory.

In the school’s first year, there were two students, and from the 1920s to the 1950s, the dental school underwent a very gradual expansion, developing clinical facilities, recruiting more staff, and increasing student admissions.

One person who stands out in the history of the school is Prof. Philip Stoy, who was its first Professor of Dentistry. Prof. Stoy is known as the father of the dental school and was dean there from 1947-1971. The building the school currently occupies was built in the 1960s, with extensions and refurbishments taking place in the intervening years.

One of the biggest challenges in the school’s history was recent, with the onset of Covid. Students and staff adapted remarkably well in very challenging conditions, says Chris: “I was incredibly proud of them. Students like clarity and to know what's ahead of them. At the beginning of the pandemic that wasn’t possible as we simply had to react to this new environment. But our students bought into everything we asked of them – the evening clinics, the extra weeks of term – and they trusted us that we could deliver the course and ensure they gained the required levels of knowledge and experience”.

Dental education has evolved over the years, with students now introduced to the clinical side of the course much earlier. Previously, the first two years were very much focused on biomedical science, but now Chris says: “From day one, we want our students to feel like young dental students. Clinical teaching starts with the basics – how to take a history, communication skills training, how to sit in a dental chair, how to maintain cross-infection control in a clinic – and we build from there”.

One outcome during the pandemic was an increased use of simulation training, honing skills in preparation for a return to clinical practice. This is something that will be maintained in the curriculum moving forward. Constructive student feedback also plays a much greater role in undergraduate teaching. The aim, says Chris, it to develop students to be lifelong learners, ensuring that they continue to develop skills as they move through their careers. Assessments have also developed in recent years, focussing much more on the application of knowledge, with students not simply asked to regurgitate information. Looking ahead, sustainability is continuing to be embedded into the curriculum. The way dentists work is changing; digital dentistry will become even more important in practice and students need to be prepared for that.

Today on the site there is the university-run dental school and a trust-run dental hospital, which work together closely. The school takes in 60 undergraduates each year, and three-quarters of these are from the UK and Ireland, with the remainder being international. The primary focus is on undergraduates and the School wants to ensure that it delivers the best undergraduate experience it can. In the latest National Student Survey, Queen’s was ranked as the highest-rated dental school in the UK and this is a position Chris would like to hold onto.

*Photos reproduced from: Lee, J.B. The Evolution of a Profession and of its Dental School in Dublin. Linden Publishing Services, Dublin 2008.

**Photos reproduced from: Borgonovo, J., O’Mullane, D., Holland T. Prevention is Better than Cure: History of Cork University Dental School and Hospital, 1013-2-13. Cork University Dental School and Hospital, 2013.

22 Journal of the Irish Dental Association | February/March 2023: Vol 69 (1) FEATURE
The first lectureships at Queen’s were in “Dental Surgery, Dental Mechanics, Orthodontia as it was called then, and Materia Medica and Metallurgy – different terms than we’re used to today”.

Starting out as a dentist

What are the things you need to think about as you begin your career as a dentist?

Qualifying from dental school is a significant milestone in any new graduate’s personal life and is the beginning of a professional career. Once the dust has settled, and after the euphoria of getting through your final exams, there are some important questions to consider before you make any decisions about your future career.

Where to now? What challenges lie ahead? What if I change my mind in the middle of the journey? In this article, we explore some of the potential risks that can derail our professional ambitions early on in our career. The psychological impact and loss of confidence can make the destination seem even further away and sometimes out of reach. To avoid this, we will also suggest some risk management strategies to help you overcome the obstacles so you can resume your journey.

Where to next?

One of the first decisions concerns your first ‘paid’ dental job. Would you like to join a general dental practice as a self-employed dentist and, given a choice, where and what type of practice? Or would you prefer a salaried position in the community services/HSE or within a dental hospital? Are you tempted to travel overseas and seek a job in another country? These are just some of the questions to be answered and you will have to consider the pros and cons of each.

Deciding on a practice

With no foundation training currently available in Ireland, many new graduates start their professional careers working as an associate in a practice setting. This can seem quite daunting. The safety net of support from undergraduate clinical tutors and peers is no longer available. You must ask yourself whether you feel you need it and how frequently you are likely to use it. This will influence your decision with regard to what type of practice you join and what level of support is available from the practice team. For some this will be as an associate working alongside their ‘principal’. Others may begin their professional journey in a practice owned and/or operated by a non-dentist.

Something to consider very carefully, before accepting any job offer, is the potential support structure that will be available to you. A good starting place is to look at the range of skills of existing team members and, in particular, explore whether established colleagues will be willing to support and coach you as you settle into the world of general practice. There are differences between working in a small practice that offers general dentistry and working in a large

practice with both generalists and specialists on site. The multidisciplinary environment potentially offers a different experience as you will be able to peer into the specialist carriage on your journey.

Clinical decision-making and treatment planning without a tutor peering over your shoulder can feel quite liberating at first but it can also be daunting and lead to selfdoubt. In a dental school environment, we are used to having treatment plans scrutinised and approved by clinical supervisors. One day they are the train drivers and the next they have jumped off and you are now in charge of the patient journey. The patients are your passengers, and you are charged with the responsibility of their safety and welfare; it can be a little nerve-wracking and it takes time before you feel confident and comfortable in the role. It is at this point that the benefit of working alongside supportive colleagues can really come into its own. Having the ability to knock on the surgery next door and run a treatment plan or radiograph by a colleague can prove invaluable. Having senior colleagues available to assist you with a difficult extraction, or support you with a challenging patient, is a benefit not to be overlooked.

It is also prudent from the outset to clarify and understand the business expectations. The business of dentistry is inextricably linked with the clinical side. It is important to understand if the practice owner(s) have any financial expectations and to ensure that you are comfortable with them and that they do not pose a threat to ethical working practices. Some new graduates may inadvertently find themselves in a situation where there is pressure to hit certain financial targets or other key performance indicators (KPIs). KPIs and other metrics are an integral part of practice management, but they should not become targets. If they do, then they will drive the wrong behaviours and therein lies the risk. If combined with a low associate percentage or a sliding scale of remuneration, the consequence may be the temptation or pressure to carry out more ‘high-value’ treatments such as implants, cosmetic dentistry or short-term orthodontics without the requisite training and experience.

The take-home message here is that not all jobs or practices are equal; think carefully about taking the first job you are offered.

The early days

When you have found a position, it is important to orient yourself with the practice policies and procedures ahead of your first day seeing patients. Do you understand

Journal of the Irish Dental Association | February/March 2023: Vol 69 (1) 23
PRACTICE
MANAGEMENT

the practice procedure for dealing with a medical emergency? Where are the emergency drugs kept? What is the practice complaints procedure? What fee structure is applied to patient care? These are all questions that should form the basis of your induction, preparing you for when you greet your first patient. It may be helpful to have a list of questions for your new colleagues to ensure that you have all the information you need to start delivering safe care from the outset. One of the biggest changes from dental school, or indeed moving practices, can be the changes to dental materials, instruments, laboratories, and local referral centres. It is quite possible that you will be using a new software package for your clinical records and/or radiographs, and having the ability to orient yourself to the new systems ahead of your first day can help ease the pressure as you get to grips with your new surroundings. Similarly, dental materials may differ and taking the time to understand the manufacturer’s instructions of use for common materials will save you time and stress when you first come to use a particular material.

Patient care

Perhaps the biggest shift when starting out in a new practice is getting to know a new group of patients. Your patients may come with existing expectations based on previous interactions with colleagues at the practice. Taking time to get to know your patients is key to providing excellent care. It has often been said that a poor clinician who is a good communicator has fewer problems than a good clinician with poor communication skills.

At Dental Protection, we often see complaints that relate not to the specific treatment provided, but to failure in communication leading to a breakdown in the professional relationship between the dentist and the patient. There may be concerns that informed consent was not obtained, treatment charges were unclear, or that the patient perceives that their care was rushed or uncaring. Taking time from the outset to build a rapport with your new patient can pay dividends in the long run. Dental Protection offers a range of communication skills training courses, including some on managing adverse outcomes, consent and the principles of shared decision-making; these are available free of charge as a benefit of membership and can be accessed via our website – www.dentalprotection.org.

Quiz

Submitted by Dr Aisling Donnelly.

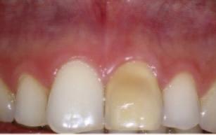
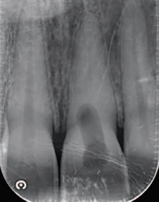
A 30-year-old patient presented to your clinic complaining of a discoloured front tooth (Figures 1 and 2). There was no pain or other symptoms associated with it and it has become increasingly discoloured over time.

1. What is the likely reason for this type of discolouration?

2. What special tests do you perform as part of your exam?

3. What are the potential sequalae for this tooth?

4. What are the possible treatment options for

Clinical confidence and competence

New graduates can sometimes be asked to provide treatments outside their confidence or competence – either by patients or colleagues within the practice. A central pillar in clinical risk management is recognising and working within your clinical competence. This requires a certain level of personal insight and emotional intelligence. The oft-quoted Dunning-Kruger effect (DKE) is just one example of a number of cognitive biases that affect our perception of the world around us. The DKE is a bias that causes people to believe that they are more capable than they really are, and they do not yet have the knowledge, experience and understanding to recognise their own incompetence. There is no substitute for knowledge; it was Confucius who said that real knowledge is to know the extent of one’s ignorance. It is important to garner knowledge and it may be worth considering the benefits of further educational opportunities and availing of high-quality accredited courses for the more complex treatments. Build up your skills over time; it is prudent to start out with more ‘straightforward’ cases, while having the support of a clinical mentor.

Reaching out

It’s not unusual for new dental graduates to feel overwhelmed, struggle with clinical time pressures and/or try to keep up the appearance of coping well. During the early days, it is important to maintain a healthy work-life balance. Having a support network around you will be key to helping you to decompress after a challenging day in the surgery. Attendance at professional networking events such as the annual Dental Protection conference can provide an excellent opportunity to meet colleagues from across the profession and to build your network in a relaxed and supportive environment.

Finally, have the courage to reach out for help if you are stressed or need someone to talk to. Dental Protection operates a dentolegal advice line, which is available 24/7 for any emergencies. You may also wish to have a look at the range of well-being resources that are available on the website. Above all, remember that we are with you all the way on your journey; we want it to be an enjoyable and fulfilling experience because we know how important that is to you.

this tooth and what are the potential difficulties with doing a root canal treatment?

Answers on page 45.

24 Journal of the Irish Dental Association | February/March 2023: Vol 69 (1) PRACTICE MANAGEMENT
FIGURE 1: Patient presenting with discoloured front tooth. FIGURE 2: Periapical radiograph 1.

Volume

69

MEMBERS’ NEWS

Celebrating a century

The Lyrath Estate in Co. Kilkenny is the venue for a very special IDA Annual Conference. 2023 marks 100 years of the IDA, and the Association has a great programme lined up to help Irish dentists celebrate this important milestone.

Following the first two days of lectures and courses, the 100th year celebratory dinner will take place on the Friday, May 12. Tickets for this black tie event are ¤95 and it is an event that is sure to be long remembered by those who attend.

Pre-Conference Programme

The Conference begins on Thursday, May 11, with the Pre-Conference Programme. There are full- and half-day courses available, including ‘Maximising your success in endodontics’ by Drs Aisling Donnelly and Roberto Careddu. Dr Christopher Orr will deliver a half-day hands-on course

titled ‘Posterior composites in 2023: can we simplify without compromise?’

For those with an interest in paediatric dentistry, Drs Rona Leith and Abigail Moore and Prof. Anne O’Connell present ‘Practical paediatric dentistry for the dental practitioner’. During this full-day course, participants will learn how to: carry out an effective assessment of the child patient; become knowledgeable in the diagnosis of caries, pulpal inflammation, and traumatic injuries in children; be aware of the various minimal intervention options for caries management and understand how to apply these clinical techniques; and, emphasise the importance of accurate diagnosis using clinical and radiographic signs in treatment decisions and treatment planning.

Main Conference

For the Conference proper on May 12 and 13, the programme splits into two to cater for as many interests as possible. Simultaneously kicking things off

Journal of the Irish Dental Association | February/March 2023: Vol 69 (1) 25
The IDA’s centenary Annual Conference takes place in Kilkenny from May 11-13. Come join us to celebrate 100 years of shining brightly. Number
1
February/March 2023

on the Friday morning at 8.00am, Prof. Avijit Banerjee looks at preventive dentistry using the minimum intervention oral care approach, and Dr Marilou Ciantar goes through the implementation of the S3 periodontal guidelines in general dental practice.

Other talks during the day include Dr Chris Orr on whether it is time to say goodbye to traditional crown preparations or not, and Prof. Anne O’Connell on the latest developments in treating dental trauma.

The Past Presidents’ Lunch takes place at 1.00pm and afterwards Dr Martin Foster will give his dento-legal survival tips. Drs Ed Madeley and Rory Boyd hope to shed some light on the planning of combined prosthodontic and periodontic anterior aesthetic cases.

Friday afternoon will also see the awarding of the Costello Medal to a current dental student.

The programme will merge again for the final two talks of the day. Dr Martin Kelleher will look back at the good, the bad and the ugly following 50 years in dentistry. Closing the lecture series for the day will be Drs Eoin Kinsella and Frances Nolan, who have a well-researched and riveting talk prepared on the first 100 years of the IDA.

Dr Marilou Ciantar is back to begin proceedings on the Saturday with a talk on an issue that will almost certainly become more prevalent as the number of dental implants in the population increase. Her talk is entitled ‘Periimplant diseases: prevention, diagnosis and management’.

In the other room, Dr David Gerdolle will examine ‘Direct anterior composites in daily practice: breaking the code without falling apart’. Dr Falk Schewdicke will take a look at artificial intelligence for dental diagnostics and decision support, while Dr Milli Doshi examines the careful task of managing the oral health of adults with a neurodisability.

At lunchtime, the IDA’s annual GP Meeting takes place and afterwards, Dr Richeal Ní Riordain will look at oral diseases in patients with systemic problems.

Immediately following this, Dr Céline Higton will impart her game-changing hacks for restorative enthusiasts. Dr Brett Duane will take a closer look at PPE and decontamination from a sustainability point of view, and Dr Siobhan Lucey will talk about the challenges and solutions to molar incisor hypomineralisation.

The final talks of the conference will be delivered by Dr Alison Dougall and Prof. Avijit Banerjee, who will take delegates through the need for antibiotic stewardship and minimally invasive operative management of the deep carious lesion, respectively.

Other activities

The President’s Golf Competition takes place on the Thursday, but anyone booked in for a Pre-Conference course that day can avail of tee times on Wednesday, May 10. Delegates and partners who want to make the most of the urge to stretch in the morning can partake in the yoga sessions on Friday and Saturday. Saturday also sees the programme for dental nurses, which features talks on oral radiology, forensics in dentistry, and behaviour management in paediatric dentistry, among others.

For full details of Conference see: https://www.dentist.ie/_fileupload/AnnualConference2023_web.pdf.

MEMBERS’ NEWS 26 Journal of the Irish Dental Association | February/March 2023: Vol 69 (1)
Prof. Anne O’Connell. The President’s Golf Competition takes place this year in Mount Juliet. Dr Milli Doshi. Dr Marilou Ciantar. Prof. Avijit Banerjee.

IDA advocating for dentists

As we commence our centenary year, the IDA plans to continue the advocacy work that saw the Association’s message feature in 421 parliamentary debates and over 600 pieces of media coverage. This work led to some major successes for the Association, not least the decision by Revenue not to impose a VAT liability on the principal-associate relationship, successful negotiations on pay and conditions on behalf of our public service members, and the inclusion of dental practices in the Government’s energy support scheme for business.

We also continued to support dentists, including 115 new IDA members, on a personal level, with over 800 queries to our HR and advisory service, 15,000 visits to the members’ section of our website, and over 140 communications updates.

Our CPD offering continues to go from strength to strength, with hands-on

HR advice for members

An updated IDA guide to human resources for dentists in private practice is now available on the IDA website. ‘Human Resources: Essentials for your private practice’ has been developed as a useful, go-to resource for IDA members, particularly practice owners.

The guide covers essential employment law and human resources topics that all employers (and employees) should be aware of.

The manual should be used in conjunction with the members’ section of the IDA website, where you can download template contracts, policies and procedures from the Practice Management section.

For further expert advice and assistance, please contact Roisín Farrelly, Manager of the IDA Communications and Advisory Service, on 01-295 0072.

The IDA HR guide is available from www.dentist.ie.

courses and seminars catering to almost 1,400 attendees. Our 15 webinars were attended by over 1,700 people, and will continue this year.

As if all that weren’t enough, membership of the IDA continues to offer significant financial benefits, with a recent study by Crowe confirming that members can save over ¤2,000 on essential services from professional indemnity insurance to credit card merchant services. You can read more about these financial benefits on page 14 of this edition, but it’s clear that members save significantly more than the cost of their membership subscription. With all of these benefits and services, and much more to come, there’s never been a better time to be a member of the IDA.

You can join or renew your membership at https://www.dentist.ie/whyjoin.7923.html.

MEMBERS’ NEWS Journal of the Irish Dental Association | February/March 2023: Vol 69 (1) 27

Statutory Sick Pay Scheme

The entitlement to statutory sick pay for employees under the Sick Leave Act 2022 began on January 1, 2023.

Practice owners and dentists who employ staff should review their current contracts of employment and absence/sick pay policies. You will need to amend these to include the Statutory Sick Pay Scheme and notify staff accordingly.

The Sick Leave Act 2022 introduces statutory sick pay for employees who have completed 13 weeks’ continuous service and provide their employer with a medical certificate.

Initially, employees will be entitled to statutory sick pay of up to three days per year, but this may be increased over time by ministerial regulation. The Statutory Sick Pay Scheme will be phased in over the next four years as follows:

n 2023 – three days’ certified sick pay per year;

n 2024 – five days’ certified sick pay per year;

n 2025 – seven days’ certified sick pay per year; and,

n 2026 – 10 days’ certified sick pay per year.

Statutory sick pay will be paid by employers at a rate of 70% of an employee’s normal wages, up to a maximum of ¤110 per day. This rate can be revised over time taking account of inflation and other factors.

Employees will have the right to take a complaint to the Workplace Relations Commission (WRC) where they are not provided with a company sick pay scheme. The WRC can make a maximum award of four weeks’ remuneration. Employers are obliged to retain records of statutory sick pay for four years. Failure to comply with the record-keeping requirement may result in a fine of up to ¤2,500.

Review contracts/policies

We would suggest that you amend your current staff contracts/sick leave policy to include a statement such as the following:

“Upon the completion of 13 weeks’ continuous service (subject to Section 5(7) of the Sick Leave Act 2022) you shall be entitled to statutory sick leave in such manner as provided for in the Sick Leave Act 2022 (and any regulations made thereunder)”.

It is important to note that there is nothing to prohibit employers from providing more generous sick pay terms in their contracts of employment.

Additional public holiday in February 2023

From 2023 onwards, there is a new annual public holiday in early February to mark St Brigid’s Day. The public holiday is the first Monday in February, except where St Brigid’s day (February 1) happens to fall on a Friday, in which case that Friday, February 1, will be a public holiday. This year (2023), the new public holiday will fall on Monday, February 6, 2023.

Full-time employees have an immediate entitlement to public holiday benefits. Part-time employees must have worked at least 40 hours in the five weeks ending on the day before the public holiday in order to qualify for public holiday benefits. The employee is entitled to whichever one of the following the employer determines:

n a paid day off on the day of the public holiday;

n a paid day off within a month of the public holiday, on a day decided by the employer;

n an additional day of annual leave; or,

n an additional day’s pay.

The employer should choose which one option they would like to grant and inform the employee of this one month before the public holiday is due to fall.

In the case of a part-time employee, it must first be established which days the employee would normally work. Where the employee would normally work on the day on which the public holiday is due to fall, they are entitled to the full benefit for the day. Where the public holiday falls on a day when the employee is not normally rostered to work, they are entitled to one-fifth of their normal working week. This benefit can be given in the form of payment or time off in lieu.

Further information

For further advice or information on these or other HR issues, please contact me in IDA House or email me at roisin@irishdentalassoc.ie

MEMBERS’ NEWS 28 Journal of the Irish Dental Association | February/March 2023: Vol 69 (1)
New statutory sick pay entitlements are now in effect, so employers need to review their contracts and policies.

Glass ionomer fissure sealants

Glass ionomer fissure sealants are an option if resin-based sealants are not indicated.

The occlusal surfaces of the first permanent molars are one of the sites most commonly affected by dental caries development. This is due primarily to their early eruption, posterior location, immature enamel, and anatomic pits and fissures, which facilitate the development of a bacterial biofilm. Sealing these pits and fissures can prevent biofilm development and thus form part of a comprehensive caries prevention programme. Current guidelines recommend caries risk assessment for all children and the placement of resinbased fissure sealants on the first and second permanent molars of those deemed high caries risk.1

While highly effective, resin-based sealants have several limitations. Firstly, resinbased dental materials are hydrophobic, meaning effective moisture control is very important. This can be difficult in cases of poor patient co-operation or when dealing with partially erupted teeth. It has been found that permanent molars can take up to 34 months to erupt fully.2 Therefore, teeth may be exposed to the oral environment unprotected for nearly three years. As caries development is most likely in the first few years following eruption, this represents a significant risk.

In the case of molar incisor hypomineralisation (MIH), altered enamel morphology may prohibit the successful bonding of resin-based materials. In addition, hypersensitivity can prevent completion of etching, rinsing and drying without local anaesthetic. Furthermore, if there is evidence of post-eruptive breakdown, resin-based sealants may be contra-indicated.2

Alternatives to resin-based sealants

Glass ionomer (GI) sealants can be utilised when a resin-based sealant is indicated but cannot be placed due to poor moisture control, resulting from either inadequate tooth eruption or poor patient co-operation. GI is hydrophilic, making it more compatible with the oral environment. Another significant advantage of GI sealants is their action as a fluoride reservoir, aiding in the remineralisation of enamel.

Finally, in instances of MIH, GI may be considered the first-line sealant material (Figure 1).3 Placing a resin-based sealant on a sensitive tooth may be distressing for a child and may increase the risk of treatment-induced anxiety. Even though the retention rates for GI sealants are reduced compared to those of resin-based sealants, studies have shown that small amounts of material remain in the pits and fissures even after the sealants appear to have debonded.4

DipPCD

Process of fissure sealing with high-viscosity glass ionomer using the atraumatic restorative treatment technique3

1. Employ a four-handed technique where possible.

2. Achieve isolation using cotton wool rolls (Figure 2).

3. Dislodge plaque and debris with a probe and clean the surfaces using wet cotton pellets or a toothbrush.

4. Apply an enamel conditioner (e.g., 20% polyacrylic acid such as GC Cavity Conditioner) for 10 seconds (Figure 3).

5. Remove the conditioner and dry the surface, using wet, and then dry, cotton pellets. Care should be taken not to desiccate the enamel.

6. Apply a high-viscosity GI material, such as GC Fuji IX, directly onto the tooth using an applicator gun, dental instrument, or a gloved finger lubricated with petroleum jelly (Figure 4a).

7. Manipulate the material into the pits and fissures using finger pressure (Figure 4b).

8. Remove finger in a lateral direction after 10-15 seconds.

9. Remove excess with an instrument such as an excavator, and adjust occlusion as required.

10. Place a new layer of petroleum jelly and allow the material to set fully while maintaining isolation (Figure 5).

RCSEd MClinDent MPaed Dent

RCSEd Consultant, Paediatric Dentistry

Cork University Dental School and Hospital

Corresponding author: Natasha Lemasney, Senior House Officer, Paediatric Dentistry, Cork University Dental School and Hospital E: natashalemasney@gmail.com

CLINICAL TIPS
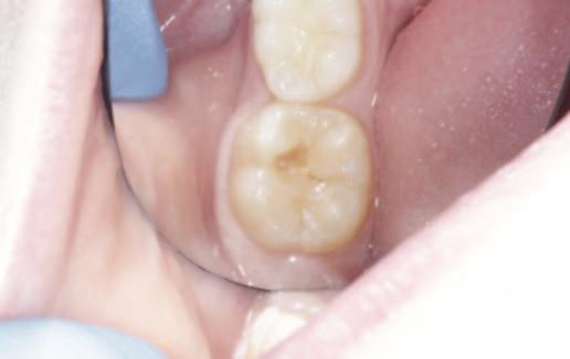
FIGURE 1: Hypomineralised mandibular right first permanent molar with early post-eruptive breakdown – suitable for a GI sealant. Natasha Lemasney BA BDentSc MFD RCSI MSc Senior House Officer, Paediatric Dentistry Cork University Dental School and Hospital Siobhán Lucey BDS NUI MFDS
Journal of the Irish Dental Association | February/March 2023: Vol 69 (1) 29

11. Patients should avoid eating for one hour afterwards if possible.

12. Recall patients in line with their caries risk status.

If a sealant has debonded on review, options include replacement with another GI sealant, or placement of a conventional resin-based sealant if moisture control can be achieved.

How can we adapt for children with limited co-operative ability?

Unlike resin-based sealants, GI materials chemically bond to enamel.2 This means that GI can be dispensed directly onto the tooth structure without prior conditioning in instances of particularly challenging patients. In cases of unpredictable co-operation, using high-viscosity GI may not be ideal, as removal of excess material may not be possible. In these instances, GC Fuji Triage may be employed.

In the authors’ experience, this specially formulated GI sealant requires more frequent re-application compared to high-viscosity GI sealants, but is less technique sensitive.

This makes it an excellent choice for challenging cases, such as patients with intellectual disabilities.

In cases of very limited patient co-operation, where a GI sealant is not possible, fluoride varnish containing 22,600ppm F should be applied to the pits and fissures at three- to six-month intervals, with a view to placing fissure sealants once co-operation improves.1

Should pre-encapsulated or hand-mix glass ionomer be used?

In addition to a pre-encapsulated form, high-viscosity GI materials are available as hand-mix powder and liquid. Some dentists may prefer the handling properties of hand-mix GI. It may also be more economical for general dental practices where children make up a small cohort of patients. Both hand-mix and pre-encapsulated forms can be used to place successful GI sealants, provided manufacturer’s instructions are followed regarding powder-liquid ratio and mixing times.

References

1. O’Neill, D., Nayyar, J., Kinirons, M., Harding, M. Fissure sealants – an update. J Ir Dent Assoc 2021; 67 (2): 93-97.

2. Wright, J.T., Crall, J.J., Fontana, M., Gillette, E.J., Nový, B.B., Dhar, V., et al Evidencebased clinical practice guideline for the use of pit-and-fissure sealants: a report of the American Dental Association and the American Academy of Pediatric Dentistry. J Am Dent Assoc 2016; 147 (8): 672-682.e12.

3. Lygidakis, N.A., Garot, E., Somani, C., Taylor, G.D., Rouas, P., Wong, F.S.L. Best clinical practice guidance for clinicians dealing with children presenting with molar-incisorhypomineralisation (MIH): an updated European Academy of Paediatric Dentistry policy document. Eur Arch Paediatr Dent 2022; 23 (1): 3-21.

4. Frencken, J.E. The state-of-the-art of ART sealants. Dent Update 2014; 41 (2): 119-120, 122-124.

CLINICAL TIPS
FIGURE 2: Effective cotton wool roll isolation. FIGURE 3: Conditioning of the pits and fissures. FIGURE 4a: Application of a GI sealant (GC Fuji IX). FIGURE 4b: Manipulation into the pits and fissures using the ‘finger press’ technique.
30 Journal of the Irish Dental Association | February/March 2023: Vol 69 (1)
FIGURE 5: GI fissure sealant.

A sagittal split osteotomy approach for removal of a large cementoblastoma at the mandibular angle

Précis

This case report demonstrates the effectiveness of sagittal split osteotomy in the removal of a mandibular cementoblastoma.

Abstract

Benign lesions at the angle of the mandible are frequently removed by a conventional intra-oral approach to gain access and achieve complete visualisation. This method is quick and effective when dealing with small, benign lesions that are superficially located at the angle of the mandible. The removal of large and deeply located lesions with a conventional intra-oral approach, however, brings about a unique set of challenges, particularly when the third molar is displaced towards the inferior border of the mandible, including: lack of complete visualisation of the lesion; difficulty in identification and protection of the inferior alveolar nerve; and, the necessity of removing a considerable amount of osseous structure, thus increasing the risk of a mandibular fracture. Alternative techniques for such lesions include an extra-oral approach, but this could potentially create a cosmetic defect from cutaneous scarring and can result in facial nerve injury.

This case report describes the use of a unilateral sagittal split osteotomy (SSO) in the removal of a mandibular cementoblastoma. This is a safe and effective technique allowing optimal access to the tumour with complete visualisation, identification and protection of the inferior alveolar nerve, and with minimal bone removal, while maintaining mandibular integrity, strength and facial aesthetics.

Introduction

A cementoblastoma, also referred to as a true cementoma, is a rare, benign odontogenic tumour arising from ectomesenchymal cells.1 They have also been referred to in the literature as: sclerosing cementoma; peri-apical fibroosteoma; and, peri-apical fibrous dysplasia. Disorganised proliferation of cementoblasts results in subsequent deposition of cement-like tissue around the roots of teeth. Cementoblastomas account for between 0.69% and 8% of all odontogenic tumours and tend to occur between the second and third decades of life, with a median age of 20 years and an age range of eight to 44 years. Some studies show no gender preference,2 while others show a higher rate of occurrence in males.3 Cementoblastomas tend to occur more frequently in the posterior mandible, involving the roots of premolar and

molar teeth. They are asymptomatic lesions, which demonstrate a slow and expansile growth, and are usually discovered as an incidental radiographic finding.4 However, cortical bone expansion can result in facial asymmetry and symptomatic painful lesions when facial nerves become involved.5 Because cementoblastomas have unlimited growth potential, treatment includes tumour resection with the extraction of the associated tooth. If the tumour is small at the time of diagnosis, treatment may consist of surgical removal with endodontic therapy and retention of the involved tooth. The traditional surgical approach for excision of a cementoblastoma at the mandibular angle is removal of bone to gain access to the tumour. However, the surgical risk increases with removal of larger lesions via traditional techniques, which will involve the removal of larger amounts of bone,

PEER-REVIEWED
Journal of the Irish Dental Association February/March 2023; 69 (1): 31-35
BA APsych BDS NUI MFD RCSI MB BCh BAO Surgical SHO
BDS
FFDRCSI
Registrar in Oral and Maxillofacial Surgery South Infirmary Victoria University Hospital Cork
FDS
in Oral and Maxillofacial Surgery South Infirmary Victoria University Hospital Cork Corresponding author: Dr Mar Cotter. E: mcottdentist@gmail.com Journal of the Irish Dental Association | February/March 2023: Vol 69 (1) 31
Dr Mar Cotter
Mr Zeeshan G. Khattak
MSc OMFS MFDS RCPS
FDSRCPS FICOI
Mr Chris Cotter FRCS
Consultant

making the mandible weak with an increased potential for fracture. The integrity of the cortical plate remains critical in these circumstances to maintain mandibular strength. To avoid such complications, the use of a sagittal split osteotomy (SSO) technique was introduced by Rittersman and van Gool in 1979 for removal of a large non-malignant lesion.6 Presented in this case report is the use of an SSO approach to remove a large radioopaque lesion at the angle of the mandible with a favourable outcome.

Case report

A 17-year-old male was referred to the Oral and Maxillofacial Surgery Department at Cork University Hospital, after an incidental finding on orthopantomogram (OPG) during an orthodontic appointment. The OPG revealed a large, radio-opaque mass, with a radiolucent rim measuring approximately 3cm mesiodistally, at the right angle of the mandible, extending from the lower border of the mandible to the alveolus (Figure 1). The patient was asymptomatic and had no relevant medical or surgical history.

Clinical examination revealed a non-tender and firm expansion of the buccal cortex in the mandibular angle area with no facial asymmetry. The lower right third molar (LR8) was displaced towards the inferior border of the

mandible and was intimately related to the inferior alveolar nerve (IAN), which had intact sensation. The extent of the lesion placed the patient at risk of a mandibular fracture and he was thus advised against involvement in contact sports.

Computerised tomographic (CT) images revealed a large, well-delineated, radio-opaque mass at the right angle of the mandible, originating from LR8 and causing thinning of the buccal and lingual cortical plates. The IAN was displaced inferiorly on the lingual aspect of the lesion (Figures 2a-2d). Following discussion with the patient and a family member, consent was obtained for surgery, with a full written and verbal explanation of the risks and benefits. A right-sided SSO was performed under general anaesthetic, as this technique would provide adequate surgical access to the lesion, as well as preserving the buccal and lingual cortices. A buccal flap was raised and standard SSO bone cuts were made with a reciprocating saw. The mandible was pre-plated before completing the mandibular split (Figure 3a). The split was uneventful and the buccal segment was lifted off the tumour, providing direct visualisation ( Figure 3b ). Despite having a radiolucent rim around the radio-opaque lesion on imaging, the tumour could not be shelled out as a whole and the lateral half had to be cut down into multiple small pieces with a fissure bur in order to remove them. The

PEER-REVIEWED
FIGURE 1: The patient’s OPG revealed a large, radio-opaque mass, with a radiolucent rim measuring approximately 3cm mesiodistally, at the right angle of the mandible, extending from the lower border of the mandible to the alveolus. FIGURE 2a: CT axial view. FIGURE 2b: CT coronal view (1). FIGURE 3a: The mandible was preplated before completing the mandibular split. FIGURE 3b: The split was uneventful and the buccal segment was lifted off the tumour, providing direct visualisation.
32 Journal of the Irish Dental Association | February/March 2023: Vol 69 (1)
FIGURE 2c: CT coronal view (2). FIGURE 2d: CT sagittal view.

remaining medial half of the tumour was then shelled out carefully (Figure 4) after identifying and protecting the IAN. LR8 (Figure 5a) was sectioned with a fissure bur and removed completely without any damage to the thin buccal cortex. The mandible was then plated back (Figure 5b) into the preplated position with a six-hole 2.0mm plate buccally, a two-hole mandibular reconstruction plate buccally at the lower border of the mandible, and a two-hole 2.0mm plate inserted in the retromandibular area across the sagittal bony cut. The excised specimen was sent for histopathology. Postoperatively, the patient had reduced sensation along the distribution of the right IAN, affecting the lower lip. This had been explained to the patient as one of the potential complications. The patient was discharged home next day on prophylactic antimicrobial therapy, analgesia, chlorhexidine mouthwash, and instructions regarding maintaining good oral hygiene and a soft diet (Figure 6). At one-week postoperative review he reported to be managing well, was taking a soft diet, had normal mouth opening, and reported no changes to his occlusion. Some sensation was returning to his lower right lip. At one-month review, a further improvement was reported in lower lip sensation, and at two months a further improvement again, with the affected region demonstrating satisfactory clinical healing. Six months postoperatively, OPG demonstrated excellent bony infill and the patient reported full resolution of paraesthesis/anaesthesia of lower lip (Figure 7). The histopathology report confirmed the diagnosis as cementoblastoma with presence of bony-type material and cementum, with associated wellvascularised fibrous connective tissue stroma.

Discussion

Benign cementoblastoma was described as early as 1927 by Dewy7 and in 1930 by Norberg,8 who defined it as a true neoplasm of cementum or cementum-like tissue and formed on a tooth root by cementoblasts. The World Health Organisation first named this neoplasm “benign cementoblastoma” in its 1971 classification, and defined it as “a neoplasm characterised by formation of sheds of cementum-like tissue, which may

contain a very large number of reversal lines and may be unmineralised at the periphery of the mass or in the more active growth areas”.9

As previously stated, cementoblastomas are rare, slowly growing but expansile lesions with unlimited growth potential. They are often asymptomatic and mostly discovered incidentally on radiographic investigation, as in this case. However, they can also cause displacement and mobility of teeth, encroach on the nerve pulp, lead to root resorption, invade the maxillary sinus or orbital floor, cause facial asymmetry, and result in pain and paraesthesia, as well as potential pathological fracture of the jaw, as has been reported by Chrcanovic et al. in 2017,10 on systematic review of 258 cases in the literature. They also concluded that cementoblastomas occur more commonly in the mandible, usually within the molar and premolar region, in a younger cohort of patients, reporting a mean age of 20.7 years, findings consistent with the patient in this case report.

Radiographically on OPG a cementoblastoma typically presents as an area of radiodensity or mixed density with a rounded or sunburst appearance and a relatively radiolucent rim. More often than not there is loss of the periodontal ligament space as well as root resorption of the associated tooth. Displacement and involvement of adjacent teeth and cortical erosion can also occur. When the attachment to the root of the involved tooth is apparent, this radiographic finding is nearly pathognomic. Further imaging via CT or cone-beam CT (CBCT) scan is commonly requested as an adjunctive aid to diagnosis. As well as an adjunct to clinical diagnosis, CT imaging is also useful in the planning of surgical intervention and it is critically important for planning excisions of larger lesions, as it will provide radiographic details about the lesion and its relationship with important structures in three dimensions.11

Histopathologically, cementoblastomas are typically characterised by masses of hypocellular cementum within a fibrovascular stroma, usually surrounded by a well-defined cementoblastic rim. Within the fibrovascular stroma, multinucleated osteoclast-type giant cells

and plump cementoblasts can FIGURE 4: The remaining medial half of the tumour was shelled out carefully after identifying and protecting the IAN. FIGURE 5a: LR8 was sectioned with a fissure bur and removed completely without any damage to the thin buccal cortex.
PEER-REVIEWED Journal of the Irish Dental Association | February/March 2023: Vol 69 (1) 33
FIGURE 5b: The mandible was plated back into the pre-plated position with a six-hole 2.0mm plate buccally, a two-hole mandibular reconstruction plate buccally at the lower border of the mandible, and a two-hole 2.0mm plate inserted in the retromandibular area across the sagittal bony cut.

occur. Prominent basophilic reversal lines within the cementum result in a pagetoid appearance. Peripherally to the lesion, the radiating columns of cellular unmineralised tissue account for the radiolucent zone. The spectrum of radiographic appearance of a cementoblastoma depends on its degree of mineralisation. Early-stage lesions generally appear more radiolucent and should be differentiated from periapical inflammatory lesions such as focal sclerosing osteotitis and focal osteomyelitis. In mature stage this lesion may be difficult to distinguish from hypercementosis, cemento-ossifying fibroma, osteoma, benign osteoblastoma, odontomas, and calcifying epithelial odontogenic tumours.12

Definitive diagnosis is made on a combination of clinical findings, radiographic investigations and histological analysis. It is imperative to include osteosarcoma in your differential diagnosis, although this would be an unusual site for that to occur.

A number of surgical techniques have been utilised in the removal of benign mandibular lesions, including:13

A. the intra-oral buccal approach, in which the buccal cortex is removed and the lesion is adequately exposed before enucleation;

B. the intra-oral lingual approach, in which the lingual cortex is removed and the lesion is exposed, with care being taken not to injure the lingual nerve;

C. segmental osteotomy, which involves an extra-oral submandibular approach with partial bone resection and reconstruction with a bone graft; and,

D. the unilateral mandibular SSO approach, as in this case.

The intra-oral buccal approach may be a reasonable option for removal of superficially placed lesions at the angle of the mandible, but for larger and deeply placed lesions it will create a large bony defect, increasing the chances of intra- or postoperative mandibular fracture. It can also lead to exposure of the lingual aspect of the mandible, resulting in dysaesthesia of the ipsilateral tongue. The intra-oral lingual approach has the inherent risk of damage to the lingual nerve, and the access and visibility it provides will be limited. The extra-oral approach provides good access and visibility but increases morbidity by the added disadvantages of creating a cosmetic defect by cutaneous scarring and risk of damaging the mandibular branch of the facial nerve. In cases of segmental osteotomy where reconstruction with bone graft is required, the morbidity increases with the addition of a donor site, and there is a risk of graft failure, in contrast to other approaches.14 Trauner and Obwegeser introduced the intra-oral approach to SSO for the

correction of dentofacial anomalies.15 Rittersman and Van Gool initially used the SSO approach to enucleate a large, multinucleated keratocyst from the mandible in 1979 as stated earlier, and the technique was subsequently used by Barnard in 1983 to access and remove a large complex composite odontoma. The modification and evolution of the SSO technique has resulted in its proven safety and effectiveness in the removal of pathological mandibular lesions.

Radiographic imaging in this case showed that LR8 was displaced towards the lower border of the mandible in a buccal position, and the IAN was pushed inferiomedially by the tumour. The CT scan also revealed thinning of both cortices of the mandible by the expanding tumour, which affected the lingual cortex more than the buccal cortex. This made it crucial to preserve the buccal cortical plate in order to minimise the chances of a mandibular fracture intra- or postoperatively. A conventional approach, therefore, could not be applied in this case as it would involve the removal of a substantial amount of buccal bone in order to gain access to the tumour, thus putting the mandible at high risk of fracture. Thus, the SSO approach was utilised, which provided an excellent solution to this problem and enabled complete preservation of the buccal cortical plate. This access also facilitated extraction of the LR8 with minimal bone removal and prevented a fracture of the already thin buccal cortex. It provided superior access and direct visualisation of the tumour, which facilitated its excision, as well as clear identification of the IAN and subsequent protection, permitting a reduced risk of damage. However, it should be noted that it does not eliminate the risk of paraesthesia entirely, which still occurs in approximately 34% of cases four days following surgery, but persists in only 8% of cases six months post surgery. Patients report more dissatisfaction with the paraesthesia of the lingual tissues that occurs in the intra-oral lingual approach in comparison with that associated with SSO.16

Conclusion

Access for removal of large pathologies at the mandibular angle presents a unique set of challenges to the surgeon. Creating a large bony defect with conventional approaches will put the mandible at risk of intra- or postoperative fracture. The SSO approach is an ideal alternative to the conventional methods, providing excellent access and direct visualisation of the tumour, minimising the risk of a fracture by minimal bone removal, decreasing the risk of damage to the IAN by identification and protection of the nerve, and providing the possibility of attaining primary wound healing. The size and location of the cementoblastoma in this case made it ideal for the SSO approach to be applied to achieve a favourable outcome. This case

PEER-REVIEWED
FIGURE 6: OPG recorded at day 1 postoperatively.
34 Journal of the Irish Dental Association | February/March 2023: Vol 69 (1)
FIGURE 7: OPG recorded at six months postoperatively showing excellent bony infill.

illustrates that the SSO approach can be safely utilised for excision of large cementoblastomas as well as other benign lesions at the angle of the mandible. We recommend that the SSO approach should be promoted for the excision of deeply placed mandibular lesions as compared to conventional approaches.

References

1. Barnes, L., Eveson, J.W., Reichart, P., Sidransky, D (eds.). Pathology and Genetics of Head and Neck Tumours. World Health Organization, 2005.

2. Huber, A.R., Folk, G.S. Cementoblastoma. Head Neck Pathol 2009; 3 (2) :133135.

3. Aswath, N., Balaji, A. Benign cementoblastoma – a rare odontogenic tumour. J Pierre Fauchard Academy 2014; 28 (3): 88-91.

4. Dunfee, B.L., Sakai, O., Pistey, R. et al. Radiologic and pathologic characteristics of benign and malignant lesions of the mandible. RadioGraphics 2006; 26 (1): 1751-1768.

5. Fontes da Silva, H., Alberto Sigua-Rodriguea, E., de Moraes, M. Surgical treatment of cementoblastoma in maxillary associated on dentofacial deformity. Oral and Maxillofacial Surgery Cases 2019; 5 (1): 100081.

6. Rittersma, J., van Gool, A.V. Surgical access to multicystic lesions, by sagittal splitting of the lower jaw. J Maxillofac Surg 1979; 7 (3): 246-250.

7. Dewey, K.W. Osteoma of a molar. Dent Cosmos 1927; 69: 1143-1149.

8. Pindborg, J.J., Kramer, I.R. Histological Typing of Odontogenic Tumor, Jaw Cysts and Allied Lesions. World Health Organisation, Geneva 1971: 31.

9. El-Naggar, A.K., Chan, J.K.C., Grandis, J.R., Takata, T., Slootweg, P.J. (eds.). WHO Classification of Head and Neck Tumours. WHO/IARC Classification of Tumours (4th Ed.). 2017, Volume 9.

CPD questions

To claim CPD points, go to the MEMBERS’ SECTION of www.dentist.ie and answer the following questions:

1. Cementoblastomas arise from organised cementoblast proliferation. l

10. Chrcanovic, B.R., Gomez, R.S. Cementoblastoma: an analysis of 258 cases reported in the literature. J Craniomaxillofac Surg 2017; 45 (10): 1759-1766.

11. Curé, J.K., Vattoth, S., Shah, R. Radiopaque jaw lesions: an approach to the differential diagnosis. RadioGraphics 2012; 32 (7): 1909-1925.

12. Brannon, R.B., Fowler, C.B., Carpenter, W.M., Corio, R.L. Cementoblastoma: an innocuous neoplasm? A clinicopathologic study of 44 cases and review of literature with special emphasis on recurrence. Oral Surg Oral Med Oral Pathol Oral Radiol Endod 2002; 93 (3): 311-320.

13. Blinder, D., Peleg, M., Taicher, S. Surgical considerations in cases of large mandibular odontomas located in the mandibular angle. Int J Oral Maxillofac Surg 1993; 22 (3): 163-165.

14. Casap, N., Zeltser, R., Abu-Tair, J., et al. Removal of a large odontoma by sagittal split osteotomy. J Oral Maxillofac Surg 2006; 64 (12): 1833-1836.

15. Trauner, R., Obwegeser, H. The surgical correction of mandibular prognathism and retrognathia with consideration of genioplasty: Part I. Surgical procedures to correct mandibular prognathism and reshaping of the chin. Oral Surg Oral Med Oral Pathol 1957; 10 (7): 677-689.

16. Al-Bishri, A., Barghash, Z., Rosenquist, J., Sunzel, B. Neurosensory disturbance after sagittal split and intraoral vertical ramus osteotomy: as reported in questionnaires and patients’ records. Int J Oral Maxillofac Surg 2005; 34 (3): 247251.

2. Radiographically, on orthopantomogram (OPG), a cementoblastoma typically presents as an area of radiodensity or mixed density with a rounded or sunburst appearance and a relatively radiolucent rim. l

3. Sagittal split osteotomy is a safe and effective technique for the removal of pathological mandibular lesions.

CPD
A: True
l B: False
A:
B:
True l
False
A:
B:
PEER-REVIEWED Journal of the Irish Dental Association | February/March 2023: Vol 69 (1) 35
l
True l
False

Oral lymphoma: a report of two contrasting cases

Précis

We highlight the varying manifestations of lymphoma in the oral cavity by presenting two contrasting cases. The journey from referral to diagnosis and management is discussed.

Abstract

Introduction: Non-Hodgkin’s lymphoma (NHL) is a broad term for malignancies of the lymphoreticular system. NHL of the oral cavity is relatively rare and can manifest in a variety of ways, which can make initial diagnosis difficult.

Objectives: We discuss two contrasting cases of patients who initially presented with oral lesions to highlight the heterogeneity of lymphoma in the oral cavity and the importance of a thorough history and examination.

Methods: Case note review was undertaken for Case 1 and Case 2.

Results: Case 1 involves a 56-year-old male who was referred from his general practitioner to the oral and maxillofacial surgery (OMFS) emergency clinic with a three-week history of painful, intra-oral, ulcerated swellings in all four quadrants. He had recently developed fever, drenching night sweats and unexplained weight loss. The patient was admitted under OMFS until biopsy confirmed NK-T cell NHL. Case 2 involves a 68-year-old male who was urgently referred by his dentist, who had noticed a red patch on the left hard/soft palate junction at routine check-up. On examination, there was a 15mm erythematous, fixed submucosal lump on the left hard/soft palate junction. He was otherwise asymptomatic. Biopsy confirmed follicular B-cell NHL. Both patients were referred to haematology for ongoing care

Conclusions: For intra-oral lesions, lymphoma should be considered as a differential diagnosis until ruled out by biopsy. Biopsies should be performed promptly in order to prevent delays in treatment. A thorough history may help to identify the presence of ‘B symptoms’.

Journal of the Irish Dental Association

February/March 2023; 69 (1): 36-39

Introduction

Lymphoma represents a broad range of malignancies involving the lymphocytic cells. The World Health Organisation classification currently includes over 60 different types of non-Hodgkin’s lymphoma, subdivided based on their histology and cell lineage. The most common presentation of lymphoma is swelling of the lymph nodes, often cervical or mediastinal, and the presence of ‘B-symptoms’, which include weight loss, fatigue, fever and night sweats. Lymphoma presenting in extra-nodal sites is less common and its presentation in the oral cavity can often be an indicator of widespread disease elsewhere in the body.

We present two cases of non-Hodgkin’s lymphoma of differing subtypes,

Sindhu Meda BDS MFDS (RCSEd)

Dental Core Trainee 1 in Oral and Maxillofacial Surgery

Worcestershire Acute Hospitals NHS Trust, England

presentation, severity and prognosis to indicate the heterogeneity of the condition. These cases illustrate the role of primary care clinicians, including general dental practitioners (GDPs), in the diagnosis of lymphoma affecting the oral cavity.

Case 1

A 55-year-old male initially presented to the oral and maxillofacial surgery (OMFS) emergency clinic with multiple, painful intra-oral gingival swellings in the upper left, upper right and lower left quadrants following an urgent referral from his general medical practitioner (GMP). The patient had initially been examined by his GDP, who had excluded dental aetiology.

Emma Houlston MChD/BChD MFDS (RCS Glasg) Specialty Dentist in Oral Surgery Worcestershire Acute Hospitals NHS Trust, England

Corresponding author: Sindhu Meda E: slmeda33@gmail.com

James Gallagher BDS MB BS MRCS(Eng) FDSRCS(Eng)

FFDRCSI FRCS (OMFS)

Consultant Oral and Maxillofacial Surgeon

Worcestershire Acute Hospitals NHS Trust, England

PEER-REVIEWED 36 Journal of the Irish Dental Association | February/March 2023: Vol 69 (1)

History

The patient complained of a three- to four-week history of intra-oral swellings, severe intra-oral pain, fever, malaise, weight loss and night sweats. He had no previous medical history of note and was a non-smoker with a past history of moderate alcohol consumption.

Exam

Extra-oral examination revealed a high fever, with no palpable cervical/axial/inguinal lymph nodes or facial swelling. A two-finger-width mouth opening was noted secondary to pain. Intra-orally, multiple soft tissue gingival swellings were observed in the upper left quadrant buccally and palatally, the upper right quadrant buccally and palatally, and adjacent to the LL7 (Figures 1a and 1b). The swellings were most extensive in the upper left quadrant, measuring approximately 3.0 x 1.5cm buccally and 4.0 x 1.5cm palatally. In the upper right quadrant the swellings were 2.5 x 1.0cm buccally and 2.5 x 1.5cm palatally, and adjacent to the LL7 the swelling measured approximately 2.0 x 1.5cm. The swellings were irregularly shaped with obvious margins, soft, red/purple in colour with patches of white, showed friable surface ulceration, and were very painful to touch. There was no obvious suppuration and the teeth were not tender to percussion. The differential diagnoses included: infection or sepsis; neoplasia; metastatic neoplasia; haematological malignancy; or, chronic inflammatory conditions such as IgG4-related disease. The patient was admitted under OMFS with input from the medical team. Initial management included intravenous fluids, analgesia and broad-spectrum antibiotics.

Additional tests

Haematological investigations showed raised C-reactive protein (CRP), alkaline phosphatase and gamma-GT. A panoramic radiograph and chest x-ray showed no relevant findings. A computerised tomography (CT) scan of the thorax, abdomen and pelvis showed extensive malignant disease with masses in the liver, adrenals, pancreas and mesentery, with widespread lymphadenopathy and left portal vein infiltration. An urgent intra-oral incisional biopsy yielded three samples for which histopathology revealed extensive surface ulceration with an infiltration of medium/large-sized lymphocytes. The lymphocytes showed a high nucleus to cytoplasm (N:C) ratio, with small, moderately polymorphic nuclei. Immunohistochemistry analysis demonstrated that the cells expressed CD56, CD3 and CD2, indicating that the lymphocytes were NK-cells and T-cells. Additionally, viral markers were positive for Epstein Barr virus (EBV), which is associated with T-cell lymphomas. This confirmed the diagnosis of non-Hodgkin’s NK/T-cell lymphoma stage 4B.

The patient was subsequently referred to the haematology team and promptly commenced on chemotherapy; initially a cycle of cyclophosphamide, doxorubicin hydrocholoride, vincristine sulphate and prednisone (CHOP) was prescribed, followed by PegAsparaginase, dexamethasone, cisplatin and gemcitabine (PDGP). Unfortunately, the patient developed complications associated with his second round of chemotherapy and died three months following his initial presentation.

Case 2

A 68-year-old male was referred via a standard, electronic referral to the OMFS department. His GDP had noticed an erythematous lesion on the left side of the junction of the hard and soft palate at a routine dental check-up. This was described as a “red lesion, slightly raised, soft, no pain, no irritation, patient not aware, approximately 1cm”. The GDP reviewed this lesion at two weeks and, due to lack of resolution, decided to refer the patient. A photograph accompanied the description of the lesion to aid triage (Figure 2). The referral was triaged and the patient was given an urgent telephone appointment 20 days after initial referral, where he was listed for biopsy.

Medical history

The patient’s medical history consisted of hypertension and hypercholesterolaemia, for which he took amlodipine and a statin. The patient was being monitored for an enlarged prostate and there was a family history of cancer on his mother’s side. The patient was a non-smoker. The patient was asymptomatic and had not experienced any ‘B-symptoms’.

Exam

On examination, there was a 15mm soft, fixed, submucosal lump with overlying erythema at the left, posterior hard palate. There was no cervical lymphadenopathy.

Additional tests

An urgent incisional biopsy demonstrated a diffuse lymphocytic infiltrate and the sample was sent for expert histopathological review where a conclusive diagnosis of low grade, follicular B-cell lymphoma was made.

CT thorax, abdomen and pelvis revealed indeterminate, scattered, small mesenteric nodules. Magnetic resonance imaging (MRI) of the neck with contrast demonstrated the known lesion at the posterior hard palate: “There is a welldemarcated, subtle lesion seen along the posterior aspect of the hard palate on the left measuring about 18 x 11 x 7mm in size (TR x AP x SI). It appears mildly

Journal of the Irish Dental Association | February/March 2023: Vol 69 (1) 37 PEER-REVIEWED
FIGURES 1a and 1b: Case 1: On intra-oral examination, multiple soft tissue gingival swellings were observed in the upper left quadrant buccally and palatally, the upper right quadrant buccally and palatally, and adjacent to the LL7. FIGURE 2: Case 2: A photograph accompanied the description of the lesion to aid triage. FIGURE 3: Case 2: Magnetic resonance imaging of the neck with contrast demonstrated the known lesion at the posterior hard palate.

Age

Table 1: Risk factors associated with lymphoma.6

Family history/genetics

Gender

Certain infections – viral (e.g., Epstein-Barr virus) and bacterial (e.g., H. pylori)

Immunodeficiency, e.g., HIV, post organ transplant Autoimmune disorders, e.g., Sjogren’s syndrome, rheumatoid arthritis, systemic lupus erythematosis, Hashimoto’s thyroiditis, coeliac disease, psoriasis

Chemicals/radiation

Smoking

Alcohol

T2 hyperintense and shows mild postcontrast enhancement, although there is no obvious marrow oedema seen at the edges” (Figure 3). A solid mass lesion involving the posterior aspect of the left submandibular gland, which was probably of the same aetiology, was also noted and was described as “a lobulated lesion seen along the posterior aspect of the left submandibular gland measuring 25 x 26 x 32mm in size. It appears intermediate signal on T2W images, hypointense on the T1W images and shows diffuse mild contrast enhancement. There is also intense diffusion restriction seen within this lesion”. Blood investigations included slightly raised IgA. The patient was referred to haematology for discussion at their multidisciplinary team meeting and the decision was made to begin active monitoring.

Discussion

Lymphoma is a malignant disease characterised by neoplastic proliferation of lymphocytes or their precursor cells.1 It can be broadly subdivided into Hodgkin’s and Non-Hodgkin’s, based on the presence or absence, respectively, of histologically distinct Reed-Sternberg cells.2 Non-Hodgkin’s lymphoma (NHL) comprises 86% of lymphomas and 20-30% of cases show extra-nodal presentations.3 NHL can be further subdivided according to the types of lymphocytic precursors involved such as B-cell or T-cell. Oral cavity involvement is rare and seen in approximately 2% of cases; this explains why clinicians may not initially consider lymphoma as part of the differential diagnosis.4 However, lymphomas are the second most common malignancy to occur in the head and neck region (after squamous cell carcinomas), making up 3.5% of intra-oral malignancies.2,5 Table 1 describes the risk factors associated with lymphoma.6

A review of the literature took place using PubMed and the search terms ‘lymphoma’ and ‘oral cavity’. Our case comparison and the literature review demonstrate the varying clinical manifestations of lymphoma, which can mimic more common malignant, benign or dental pathologies. In particular, oral lymphoma has been known to mimic apical periodontitis, acute periapical abscesses, osteomyelitis, odontogenic tumours (e.g., ameloblastomas), and malignancies such as squamous cell carcinomas.2 Common sites include the gingivae, palate, maxilla, mandible and tongue.7 One study reported that 40% of cases are initially misdiagnosed, which can delay the ultimate diagnosis and treatment. 7 Since involvement of the oral cavity is often secondary to a more widespread malignant process, any delay in diagnosis can significantly reduce the prognosis.8 Table 2 describes the common systemic and oral presentations of lymphoma.

In general, NHLs are highly sensitive to radiotherapy and chemotherapy, but

Table 2: Systemic and intra-oral presentations of lymphoma.7

Systemic Intra-oral

Fever

Drenching night sweats

Unexplained weight loss

Painless enlarged lymph nodes

Fatigue

Swellings of palate, gingivae, buccal mucosa

Non-healing ulcers

Bony expansion

Osteolytic radiolucencies

Paraesthesia/anaesthesia

Cutaneous symptoms, Unexplained tooth mobility or pain

e.g., rash/itching

Frequent infections

Table 3: Information to include when describing an intra-oral lesion.

Description of an intra-oral lesion should include the following:

Anatomical site/location

Size

Shape

Colour

Lesion type, e.g., plaque, nodule, papule, vesicle, ulcer

Distribution (if more than one lesion)

Margins

Texture, e.g., soft, indurated

History

high-grade, widely disseminated disease has a poorer prognosis.9 Prognostic factors for lymphoma include the patient’s age, presence of ‘B symptoms’, stage and type of lymphoma, and lactate dehydrogenase levels (indicative of tumour metabolism). Five-year survival rates can vary greatly depending on the type of lymphoma; the survival rate of NK/T-cell lymphoma has been shown to be 2035%, and given the poor prognostic factors presented in Case 1 this survival rate falls to approximately 6-7%.10 Follicular B-cell NHL, on the other hand, as presented in Case 2, has a five-year survival rate ranging between 80% and 95%, which reduces to approximately 50-60% in the presence of poor prognostic factors.11

Routine oral examinations by healthcare professionals at check-ups provide an opportunity to screen for potentially malignant lesions and the importance of a thorough and confident extra- and intra-oral examination can never be underestimated. This consists of an examination of the head and neck region for swelling, asymmetry and discolouration, palpation of lymph nodes, identification of any sensory deficiency, and assessment of the temporomandibular joint bilaterally. Intra-oral examination should include the assessment of the mucosa of the oral cavity for swellings, ulcerations and red/white patches, and should include hard tissue charting with a basic periodontal examination. While there is no expectation to diagnose lesions, differentiating between normal anatomy and pathology, and understanding when to seek a second opinion, can be critical. An accurate description of intra-oral lesions, as shown in Table 3, can aid the referral process as triaging clinicians will gain a better understanding of each case.

Photographic records to aid triage are exemplary, such as those provided in Case 2, and potentially lead to more appropriate triaging.12 In the current technological climate and with the regular use of photography within dentistry, this raises the question of whether all referrals for soft and hard tissue lesions should be accompanied with not only a thorough description of the lesion, but

PEER-REVIEWED 38 Journal of the Irish Dental Association | February/March 2023: Vol 69 (1)

also a clear photograph. For electronic referrals this would be similar to referrals for dental extractions requiring radiographs attached for acceptance. This photograph can also be used as a way of monitoring the progression/regression of the lesion over time.

The emergence of the Covid-19 pandemic has resulted in unprecedented challenges in the provision and continuity of care in dentistry and medicine. With this came the rise of teledentistry, which involves performing consultations via telephone or video-based platforms in order to reduce the risk of Covid-19 infection both to the clinicians and the patients. The additional advantages include reduced appointment time, less travel and waiting time for the patient, and increased scheduling flexibility. This was particularly relevant in Case 2, who was initially offered a telephone consultation during the height of the pandemic. This arrangement offered the patient a more specialised consultation and allowed the prioritisation of this case for a clinical biopsy appointment. This approach has been found to be well received by patients and supports an efficient use of resources.13 Of course, teledentistry represents a very real risk, as no photograph and verbal description from the patient/referrer will ever substitute for a face-to-face history and examination by a specialised clinician. Therefore, remote consultations need to be used with caution, and the risks and benefits balanced on a case-by-case basis.

Conclusion

A thorough history and examination followed by basic investigations is the initial responsibility of the primary care practitioner. Clinicians should be aware that radiolucencies associated with lymphoma may mimic peri-apical or periodontal pathology, odontogenic cysts, or tumours and infection. After excluding obvious odontogenic pathologies, the clinician must adopt a high degree of suspicion and refer onwards in a timely fashion. Clinicians should be familiar with the accurate description of intra-oral lesions and provide clinical photographs where possible to streamline the continuity of care and appropriate prioritisation of cases. Haematological and radiographic investigations are useful in staging, but in such cases the gold standard diagnostic technique is an urgent intra-oral biopsy. As presented in our cases, the histological and immunohistochemical evaluation was key to diagnosing and characterising the pathology.

CPD questions

To claim CPD points, go to the MEMBERS’ SECTION of www.dentist.ie and answer the following questions: CPD

1. Lymphoma involves malignant proliferation of:

l A: Erythrocytes

l B: Plasma cells

l C: Lymphocytes

l D: Nerve cells

References

1. Parihar, S., Garg, R.K., Narain, P. Primary extra-nodal non-Hodgkin's lymphoma of gingiva: a diagnostic dilemma. J Oral Maxillofac Pathol 2013; 17 (2): 320.

2. Hassona, Y., Almuhaisen, G., Almansour, A., Scully, C. Lymphoma presenting as a toothache: a wolf in sheep’s clothing. BMJ Case Rep 2017; doi: 10.1136/bcr-2016218686.

3. Rana, K., Narula, V., Bhargava, E., Shankar, R., Majahan, N. T-cell lymphoma of the oral cavity: a rare case report. J Clin Diagn Res 2015; 9 (3): MD03-MD04.

4. Sharma, P., Gawande, M., Chaudhary, M,. Ranka, R. T-cell lymphoma of oral cavity: a rare entity. J Oral Maxillofac Pathol 2018; 22 (1): 104-107.

5. Shindoh, M., Takami, T., Arisue, M., Yamashita, T., Saito, T., Kohgo, T., et al Comparison between submucosal (extra-nodal) and nodal non-Hodgkin’s lymphoma (NHL) in the oral and maxillofacial region. J Oral Pathol Med 1997; 26 (6): 283-289.

6. Zhang, Y., Dai, Y., Zheng, T., Ma, S. Risk factors of non-Hodgkin lymphoma. Expert Opin Med Diagn 2011; 5 (6): 539-550.

7. Silva, T.D.B., Belo, C., Ferreira, C.B.T., Leite, G.B., de Menezes Pontes, J.R., Antunes, H.S. Oral manifestations of lymphoma: a systematic review. Ecancermedicalscience 2016; 10: 665.

8. Yaji, A., Shesha Prasad, R., Jambunath, U., Jayram, R., Pai, A. Lymphoid malignancies: oral manifestation and considerations. J Hematol Mult Myeloma 2019; 4 (1): 1022.

9. Maheshwari, G.K., Baboo, H.A., Gopal, U., Wadhwa, M.K. Primary extra-nodal nonHodgkin’s lymphoma of the cheek. J Postgrad Med 2000; 46 (3): 211-212.

10. Dearden, C.E., Johnson, R., Pettengell, R., Devereux, S., Cwynarski, K., Whittaker, S., et al. Guidelines for the management of mature T-cell and NK-cell neoplasms (excluding cutaneous T-cell lymphoma). Br J Haematol 2011; 153 (4): 451-485.

11. Luminari, S., Bellei, M., Biasoli, I., Federico, M. Follicular lymphoma: treatment and prognostic factors. Rev Bras Hematol Hemoter 2012; 34 (1): 54-59.

12. Lin, I., Datta, M., Laronde, D.M., Rosin, M.P., Chan, B. Intraoral photography recommendations for remote risk assessment and monitoring of oral mucosal lesions. Int Dent J 2021; 71 (5): 384-389.

13. da Silva, H.E., Santos, G.N., Leite, A.F., Mesquita, C.R., de Souza Figueiredo, P.T., Dos Reis, P.E., et al The role of teledentistry in oral cancer patients during the COVID-19 pandemic: an integrative literature review. Support Care Cancer 2021; 29 (12): 7209-7223.

2. The most common presentation of lymphoma is:

l A: Headaches

l B: Loss of appetite

l C: Dry mouth

l D: Enlarged lymph nodes

3. Which blood test can indicate the prognosis of lymphoma:

l A: Alkaline phosphatase

l B: Lactate dehydrogenase

l C: C-reactive protein

l D: IgA

Journal of the Irish Dental Association | February/March 2023: Vol 69 (1) 39 PEER-REVIEWED

Periodontal disease in the older patient

Aims and objectives

This paper aims to update the reader on the current understanding of the impact of ageing on periodontitis. It presents a clinical case to highlight the importance of early diagnosis and some of the key features required in successful management.

Introduction

There has been a consistent increase in the proportion of older members of society due to improved healthcare and standards of living driving an increased lifespan. Alongside this, populations are keeping their teeth longer and have heightened expectations for what dentistry can deliver. Several international surveys have shown that periodontitis can affect around half of the adult population, and that the numbers of patients experiencing periodontal disease increases with age.1 When combined, all of these factors result in increasing oral healthcare demand in the older patient, notably the management of periodontitis.

The impact of periodontitis is wide ranging, including loss of function and aesthetic concerns with tooth loss, cost to healthcare providers, and associations with a number of systemic diseases, e.g., diabetes, cardiovascular disease and, more recently, Alzheimer’s disease. There is also evidence that successful periodontitis management improves outcomes in type 2 diabetes.2

Why do older patients get more disease?

There are a number of reasons for increased levels of periodontitis in the older patient, which can be summarised as follows:

1. Accumulated risk: Older patients will potentially be exposed to established periodontal risk factors for longer (e.g., smoking, poor oral hygiene, etc.).

2. Biological changes: The ageing process results in a range of changes to the periodontal structures ( Table 1 ), including reduced immune function and reduction in healing potential. These can affect the way the body responds to plaque biofilm challenge, resulting in increased disease susceptibility.

Other important factors for the ageing patient include:

n a reduction in manual dexterity that inhibits the efficacy of plaque removal; n increased incidence of systemic disease (several of which have associations

with periodontitis, e.g., type 2 diabetes); and, n polypharmacy, where patients are on multiple medications that may have direct or indirect effects on the oral tissues, e.g., calcium channel blockers that cause drug-induced gingival enlargement, which we will explore in the clinical case in this article.

A further example of a periodontal condition that may be related to drug therapy is desquamative gingivitis, where painful erosions or ulcerations form on the gingival tissue, which in turn makes toothbrushing very uncomfortable. Plaque control then becomes suboptimal and periodontitis may follow as a consequence of a deteriorating cycle that is difficult to manage without topical steroids. Given that desquamative gingivitis can have significant underlying pathology other than drug related (e.g., pemphigus, pemphigoid, etc.), if present, this condition requires investigation.

There is also evidence to suggest that changes to the plaque biofilm take place with increasing age. These include increased plaque accumulation and changes in the microflora, including some of the key periodontal pathogens.3 However, the significance of these changes has yet to be fully explored.

Psychosocial factors in the management of periodontitis

In any patient, psychosocial factors play an important role in behaviour that can impinge on plaque control compliance. The most important is ‘self-efficacy’, which is giving the patient the belief that changing their behaviour will improve the clinical outcome. In relation to periodontal disease, self-efficacy of improving patient plaque control will have the biggest single positive impact on the management of periodontitis (see Step 1 of periodontal management below).

The literature indicates that for the majority of adult life, for most patients, there is negligible change in intellect, so there are no issues in older patients who are cognitively well and acting on information given. However, decline in biological function can lead to a reduced ability to undertake certain tasks, including those related to oral hygiene.

Alongside this, older patients can be prone to information overload, meaning that the way information is delivered is important, with a strategy of regular ‘bite-sized’ instructions being optimal.

As we age, we are more likely to experience major life events/illnesses that can

CLINICAL FEATURE 40 Journal of the Irish Dental Association | February/March 2023: Vol 69 (1)
Prof. A. Roberts Cork University Dental School and Hospital University College Cork Prof. M.R. Milward Birmingham Dental School and Hospital University of Birmingham United Kingdom Corresponding author: Prof. A. Roberts. E: a.roberts@ucc.ie

FIGURES 1a-1c: Clinical images demonstrated generalised extrinsic staining, with associated plaque and calculus deposits, mild gingival recession, generalised periodontal pocketing, drifting and spacing of the maxillary dentition, and previous loss of teeth. Pus was identifiable at the gingival margin at the mid-distal aspect of tooth 46, which proved non-vital to sensibility testing, and a periodontal-endodontic lesion was diagnosed.

cause low self-esteem, meaning that the diagnosis of periodontitis may be deemed of low importance. In such cases, motivating the patient to deliver good oral hygiene can be a significant challenge. The plaque control challenge can be made even more difficult as gingival recession and changes to interproximal spaces between the teeth mean that adjustments to techniques and products become necessary.

Having discussed all these factors, it is important to note that periodontitis is not a result of aging per se; if risk factors are adequately managed, then patients will maintain a healthy periodontium as they grow older. It is also important that, as for all our patients, older adults are regularly screened for periodontal disease (Basic Periodontal Examination (BPE)/Community Periodontal Index of Treatment Needs (CPITN)/Periodontal Screening and Recording (PSR)) and management of risk factors, as early disease management results in improved patient outcomes.

A clinical case

The clinical case presented is of a 74-year-old male patient of Afro-Caribbean ethnicity who had been referred for specialist opinion by his general medical practitioner (GMP) due to ‘swollen gums’ that had been identified during a domiciliary appointment. Medical history revealed that he had commenced taking a calcium channel antagonist (amlodipine) for hypertension approximately 12 months previously, and gingival enlargement commenced within three months.

The patient was a symptomatic attendee to various local general dental practitioners, a former smoker and, in addition to the drug-induced gingival enlargement (as a consequence of suboptimal plaque control and amlodipine), there was an underlying periodontitis.

His clinical images (Figure 1) demonstrate generalised extrinsic staining with associated plaque and calculus deposits, mild gingival recession, generalised periodontal pocketing, drifting and spacing of the maxillary dentition, and previous loss of teeth. Pus was identifiable at the gingival margin at the middistal aspect of tooth 46, which proved non-vital to sensibility testing, and a periodontal-endodontic lesion was diagnosed.

Furcation involvement was identifiable clinically and radiographically (Figure 2) on multiple teeth and, in short, the case demonstrates an ageing patient with a broad range of clinical features and risk factors common to patients with periodontitis.

The patient’s management included liaising with the GMP about the underlying condition and seeking an alternative class of anti-hypertensive. In addition, the patient’s periodontal treatment was delivered according to the European Federation of Periodontology clinical guideline on the treatment of Stage I-III periodontitis.4 In this case, the treatment plan was as follows:

Journal of the Irish Dental Association | February/March 2023: Vol 69 (1) 41
CLINICAL FEATURE
A B C
Figure 2: Furcation involvement was identifiable clinically and radiographically on multiple teeth.

Gingiva Less stippling (relevance

Thinning of epithelium, unclear) reduced keratinisation and Increased likelihood of recession cellularity

Cementum Continually laid down throughout

None

Most pronounced in apical Ongoing deposition of life over entire root surface third due to passive eruption cellular cementum Recession likely to lead to cementum and root dentine exposure

Alveolar bone Increased likelihood of attachment loss Reduced periodontal membrane

Reduced cellularity and space (likely consequence thickness of cribriform plate of occlusal forces)

Reduced proliferation of ligament periodontal fibroblasts, and collagen and protein synthesis

Periodontal

Step 1: Guiding behaviour change by motivating the patient to undertake successful removal of supragingival dental biofilm and risk factor control:

n supragingival dental biofilm control;

n interventions to improve the effectiveness of oral hygiene, including the adaptation of toothbrush handles and long-handled interdental brushes; n professional mechanical plaque removal (PMPR), which included ultrasonic and hand instrumentation; and,

n risk factor control, which included all the health behavioural change interventions eliminating/mitigating the recognised risk factors for periodontitis onset and progression (smoking cessation and dietary counselling for the patient’s domiciliary carers).

Step 2: Cause-related therapy aimed at controlling (reducing/eliminating) the subgingival biofilm and calculus:

n subgingival instrumentation using ultrasonics and site specific Gracey curettes instrumenting to the apical extent of the periodontal pocket.

Step 3: Treating those areas of the dentition that were not responding adequately to the second step of therapy:

n re-evaluation appointment three months after Step 2; and, n repeated subgingival instrumentation on three occasions (as per the protocol described in Step 2).

Step 4: Supportive periodontal care aimed at maintaining periodontal stability:

n combining preventive and therapeutic interventions defined in the first and second steps of therapy.

Step 1 was particularly challenging given the patient’s initial stance of ‘I’m 74 years old and know how to brush my own teeth’. However, over a series of appointments it became clear that the patient’s brushing technique was ineffective and that although he had been ‘told’ how to brush, he had never been ‘shown’ how to brush. Watching the patient attempt to brush revealed a sub-optimal approach and the authors would advocate an ‘observed brushing’ approach for patients struggling with home plaque control.

As a consequence of Steps 1 and 2, the patient experienced further gingival recession and subsequent dentinal hypersensitivity, which was managed through the use of a desensitising toothpaste and professional fluoride applications. This had the additional benefit of reducing the likelihood of root caries. A re-sizing of interdental brush advice was required. Additional gingival recontouring was undertaken surgically to remove those areas of gingival enlargement that had not resolved from the combination of a change in medication and the non-surgical periodontal treatment.

Conclusions

There are key messages in managing the older patient with periodontitis:

n it is not inevitable that patients will get periodontitis as they age;

n regular screening using the BPE/CPITN/PSR, along with risk factor management, is key to disease prevention/management;

n it is important to treat each patient as an individual and ensure that oral hygiene instruction is bespoke for each patient, understanding the specific challenges they have, and modifying clinician advice and oral hygiene devices to optimise home plaque control;

n it is important to try and understand a patient’s motivation and ability to deliver necessary levels of plaque control – for example, an older patient may have carer responsibilities for a close relative, meaning that they have little time or motivation for oral care or require adaptations to their toothbrushes, etc.;

CLINICAL FEATURE 42 Journal of the Irish Dental Association | February/March 2023: Vol 69 (1)
Table 1: Age-related changes in the periodontium.
Tissue Clinical Radiological Cellular

n patients have a range of biological changes as they get older, but from a clinical point of view appear to respond in a similar way to periodontal treatment to a younger patient;

n once periodontitis has been identified via the screening process, the patient embarks on a stepwise journey of provision of periodontal care;

n liaising with our medical colleagues is essential to highlight the impact of medical conditions and their associated medications on oral and periodontal health, as well as issues surrounding polypharmacy, and nutritional issues that are more likely in older individuals; and,

n given the population shifts globally to an ageing population, this article serves as a reminder of the key principles of management of periodontal diseases, namely plaque control.

References

1. Kassebaum, N.J., Bernabé, E., Dahiya, M., Bhandari, B., Murray, C.J., Marcenes, W. Global burden of severe periodontitis in 1990-2010: a systematic review and metaregression. J Dent Res 2014; 93 (11): 1045-1053.

2. Madianos, P.N., Koromantzos, P.A. An update of the evidence on the potential impact of periodontal therapy on diabetes outcomes. J Clin Periodontol 2018; 45 (2): 188-195.

3. Rodenburg, J.P., Van Winkelhoff, A.J., Winkel, E.G., Goene, R.J., Abbas, F., De Graaff, J. Occurrence of Bacteroides gingivalis, Bacteroides intermedius and Actinobacillus actinomycetemcomitans in severe periodontitis in relation to age and treatment history. J Clin Periodontol 1990; 17 (6): 392-399.

4. Sanz, M., Herrera, D., Kebschull, M., Chapple, I., Jepsen, S., Berglundh, T., et al., EFP Workshop Participants and Methodological Consultants. Treatment of stage I-III periodontitis – the EFP S3 level clinical practice guideline. J Clin Periodontol 2020; 47 (Suppl. 22): 4-60.

Journal of the Irish Dental Association | February/March 2023: Vol 69 (1) 43
CLINICAL FEATURE

Universal health coverage cannot be universal without oral health

International Universal Health Coverage Day is a much-needed occasion for the public health community to advocate for accelerated progress towards universal health coverage (UHC). Despite global progress, substantial differences in coverage persist between countries and within populations, in particular for oral health. Oral diseases are major global public health problems that require urgent attention. An unprecedented 3.5 billion people have oral diseases, comprising tooth decay, severe gum disease, tooth loss, and oral cancer. The effect of these diseases on general health, quality of life, and wellbeing is substantial. Moreover, productivity losses from oral diseases are estimated at US$323 billion, highlighting the great social and economic harm they cause, particularly in low-income and middle-income countries (LMICs). However, public health and health policy solutions are available to address the burden of oral diseases. The WHO Global Oral Health Status Report, published in November 2022, stresses that most oral diseases are fundamentally preventable by addressing social and behavioural determinants together with risk factors – such as tobacco, alcohol, and sugars – that are shared with many other non-communicable diseases. Practical policy approaches include better integration of oral health into primary healthcare, in addition to oral disease prevention and oral health promotion strategies, supported by improved interprofessional collaboration.

Lancet Public Health 2023; 8 (1): e8-e10. doi: 10.1016/S2468-2667(22)003152. Epub 2022 Dec 11. PMID: 36516876; PMCID: PMC9810536.

Meta-hallmarks of ageing and cancer

López-Otín, C., Pietrocola, F., Roiz-Valle, D., Galluzzi, L., Kroemer, G.

Abstract

Both ageing and cancer are characterised by a series of partially overlapping ‘hallmarks’ that we subject here to a meta-analysis. Several hallmarks of ageing (i.e., genomic instability, epigenetic alterations, chronic inflammation, and dysbiosis) are very similar to specific cancer hallmarks and hence constitute common ‘meta-hallmarks’, while other features of ageing (i.e., telomere attrition and stem cell exhaustion) are likely to suppress oncogenesis and hence can be viewed as preponderantly ‘antagonistic hallmarks’. Disabled macroautophagy and cellular senescence are two hallmarks of ageing that exert context-dependent onco-suppressive and pro-tumorigenic effects. Similarly, the equivalence or antagonism between ageing-associated deregulated nutrient-sensing and cancer-relevant alterations of cellular metabolism is complex. The agonistic and antagonistic relationship between the processes that drive ageing and cancer has bearings for the age-related increase and oldest age-related decrease of cancer morbidity and mortality, as well as for the therapeutic management of malignant disease in the elderly.

Cell Metabolism 2023; 35 (1): 12-35. doi: 10.1016/j.cmet.2022.11.001. PMID: 36599298.

Healthy eating patterns and risk of total and causespecific mortality

Shan, Z., Wang, F., Li, Y., Baden, M.Y., Bhupathiraju, S.N., Wang, D.D., et al.

Abstract

Importance: The current Dietary Guidelines for Americans recommend multiple healthy eating patterns. However, few studies have examined the associations of adherence to different dietary patterns with long-term risk of total and cause-specific mortality.

Objective: To examine the associations of dietary scores for four healthy eating patterns with risk of total and cause-specific mortality.

Design, setting, and participants: This prospective cohort study included initially healthy women from the Nurses' Health Study (NHS; 1984-2020) and men from the Health Professionals Follow-up Study (HPFS; 1986-2020).

Exposures: Healthy Eating Index 2015 (HEI-2015), Alternate Mediterranean Diet (AMED) score, Healthful Plant-based Diet Index (HPDI), and Alternate Healthy Eating Index (AHEI).

Main outcomes and measures: The main outcomes were total and causespecific mortality overall and stratified by race and ethnicity and other potential risk factors.

Results: The final study sample included 75,230 women from the NHS (mean [SD] baseline age, 50.2 [7.2] years) and 44,085 men from the HPFS (mean [SD] baseline age, 53.3 [9.6] years). During a total of 3,559,056 person-years of follow-up, 31,263 women and 22,900 men died. When comparing the highest with the lowest quintiles, the pooled multivariable-adjusted HRs of total mortality were 0.81 (95% CI, 0.79-0.84) for HEI-2015, 0.82 (95% CI, 0.79-0.84) for AMED score, 0.86 (95% CI, 0.83-0.89) for HPDI, and 0.80 (95% CI, 0.77-0.82) for AHEI (P<0.001 for trend for all). All dietary scores were significantly inversely associated with death from cardiovascular disease, cancer, and respiratory disease. The AMED score and AHEI were inversely associated with mortality from neurodegenerative disease. The inverse associations between these scores and risk of mortality were consistent in different racial and ethnic groups, including Hispanic, non-Hispanic Black, and non-Hispanic White individuals.

Conclusions and relevance: In this cohort study of two large prospective cohorts with up to 36 years of follow-up, greater adherence to various healthy eating patterns was consistently associated with lower risk of total and causespecific mortality. These findings support the recommendations of Dietary Guidelines for Americans that multiple healthy eating patterns can be adapted to individual food traditions and preferences.

JAMA Internal Medicine 2023: Jan 9. doi: 10.1001/jamainternmed.2022.6117. Epub ahead of print. PMID: 36622660.

Alarming antibody evasion properties of rising SARSCoV-2 BQ and XBB subvariants

Abstract

The BQ and XBB subvariants of SARS-CoV-2 Omicron are now rapidly

44 Journal of the Irish Dental Association | February/March 2023: Vol 69 (1) ABSTRACTS
Wang, Q., Iketani, S., Li, Z., Liu, L., Guo, Y., Huang, Y., et al

expanding, possibly due to altered antibody evasion properties deriving from their additional spike mutations. Here, we report that neutralisation of BQ.1, BQ.1.1, XBB, and XBB.1 by sera from vaccinees and infected persons was markedly impaired, including sera from individuals boosted with a WA1/BA.5 bivalent mRNA vaccine.

Titres against BQ and XBB subvariants were lower by 13- to 81-fold and 66to 155-fold, respectively, far beyond what had been observed to date. Monoclonal antibodies capable of neutralising the original Omicron variant were largely inactive against these new subvariants, and the responsible

Quiz answers

Questions on page 24.

1. The process occurring here is called pulp canal obliteration, which can occur as a result of dental trauma. It is usually associated with luxation injuries and results in calcification of the root canal system. The exact mechanism is unknown but is likely related to damage to the neurovascular supply as a result of trauma. The resultant calcification can cause a loss of translucency, a darker hue and the yellowish discolouration of the crown.

2. Sensibility tests should be performed; however, the results of both cold and electric pulp testing in these teeth can be unreliable. Negative results alone should not be interpreted as pulpal necrosis and do not indicate a need for root canal treatment.1

3. Fewer than one-third of these teeth are thought to develop an apical periodontitis (approximately 27%), but the discolouration can be troublesome for some patients.

4. In teeth with clinical or radiographic evidence of apical disease, endodontic treatment is indicated. Root treatment of these teeth is extremely difficult and requires correct bur selection, careful access angulation and magnification. Cone-beam computed tomography (CBCT) can be very useful to help orientate the access successfully. Without due

individual spike mutations were identified. These subvariants were found to have similar ACE2-binding affinities as their predecessors. Together, our findings indicate that BQ and XBB subvariants present serious threats to current Covid-19 vaccines, render inactive all authorised antibodies, and may have gained dominance in the population because of their advantage in evading antibodies.

Cell 2022; 14: S0092-8674(22)01531-8. doi: 10.1016/j.cell.2022.12.018. Epub ahead of print. PMID: 36580913; PMCID: PMC9747694.

care, significant removal of tooth structure (Figure 3) and perforation (Figure 4) can occur. In some cases where the obliteration is severe, retrograde root treatment can be selected as the most appropriate treatment choice. If there is no sign of apical disease but aesthetics are a concern, options for treatment include external bleaching in the first instance. If the results of bleaching are unsatisfactory, a partial coverage restoration to mask the discolouration should be considered.2 Root treatment should be avoided in cases without signs of apical disease.

References

1. Oginni, A.O., Adekoya-Sofowora, C.A., Kolawole, K.A. Evaluation of radiographs, clinical signs and symptoms associated with pulp canal obliteration: an aid to treatment decision. Dent Traumatol 2009; 25: 620-625.

2. McCabe, P.S., Dummer, P.M. Pulp canal obliteration: an endodontic diagnosis and treatment challenge. Int Endod J 2012; 45 (2); 177-197.

Journal of the Irish Dental Association | February/March 2023: Vol 69 (1) 45 ABSTRACTS
FIGURE 3: Periapical radiograph 2. FIGURE 4: Sagittal section of CBCT.

PRACTICES WANTED

Enthusiastic, motivated dentist looking to buy/take over 2+ surgery practice. 10 years’ GDP experience, postgraduate MSc, continuously upskilling. DigitalXxrays/computerised/modern equipment desirable. Looking to help senior dentist retire/scale down. North Co. Dublin. Contact leinsterdentist@gmail.com.

SITUATIONS VACANT Associates

Full-time or part-time dental associate position available in practice 10 minutes’ drive south of city centre. Fully private with digital scanner. Hygienist available. Support with endodontics, oral surgery, dental implants and conscious sedation. Excellent opportunity for professional development. Contact southdublindentalassociate@gmail.com.

Dental associate required for general dentistry in southwest Dublin beside M50. February 7-23, 2023 (full-/part-time). With both chairside nurse and receptionist. 50% of day book. To join our team, please email Wendy at sarahfosterjames@gmail.com.

Associate wanted from February 23. Three to four days per week. Fully private, modern practice offering full range of general dentistry, along with full hygiene support, IV sedation, Invisalign, 3Shape scanner. Minimum three years’ experience. Full, busy book. Please email any enquiries to eamonnugent@ivorydental.ie.

Part-time dental associate position available in Dublin 7 clinic. Fully private clinic with digital workflow. Join our busy team of orthodontist, endodontist, oral surgeon and implant specialist. Minimum three years' experience required. Contact hello@plazahealth.ie.

Associate required for full-time position in busy west Dublin practice. Great working atmosphere with very helpful staff. Immediate start date available but all options –including part-time – considered. Please reply with CV to dentalpost1@gmail.com.

Classified advertisements are accepted via the IDA website –www.dentist.ie – only, and must be pre-paid. The deadline for receipt of advertisements for inclusion in the next edition is Friday, March 10, 2023. Classified ads placed in the Journal are also published on www.dentist.ie for 12 weeks. Please note that all adverts are subject to VAT at appropriate rate.

Advert size Members Non-members

up to 25 words ¤80 ¤160

26 to 40 words ¤95 ¤190

The maximum number of words for classified ads is 40. If the advert exceeds 40 words, then please contact: Think Media, The Malthouse, 537 North Circular Road, Dublin 1. Tel: 01-856 1166 Fax: 01-856 1169 Email: paul@thinkmedia.ie

Please note that all classified adverts MUST come under one of the following headings:

4 Situations wanted 4 Situations vacant

4 Practices for sale/to let 4 Practices wanted

4 Equipment for sale/to let Classified adverts must not be of a commercial nature. Commercial adverts can be arranged by contacting Paul O’Grady at Think Media.

Associate dentist required for very busy general practice in Killorglin, Co. Kerry. Three days but can be worked over 2.5 if preferable. No weekends. Fully digital, hygienist, friendly working environment. Full book. Excellent support staff. Contact ahernsdental1@gmail.com.

North Co. Wexford: experienced, part-time/full-time associate required – strong profile, extremely busy practice. Supportive, progressive environment. Modern, digitalised equipment. Computerised. Hygienist. Strong demand for cosmetic/restorative treatments. Excellent remuneration – right candidate. Contact niall@innovativedental.com.

Experienced dental associate required in Newbridge. Full/part-time position in private well-established clinic. Be part of a great multidisciplinary team with many visiting specialists. Excellent backroom support. Cerec, new equipment, digital scanner, CBCT. Please send CV to southeastdental46@gmail.com.

Experienced part-time dental associate required for two days for a busy modern clinic in Terenure with a lovely patient base, good working environment and great support staff. Hours/days negotiable. Excellent remuneration potential. Contact olivia.plunkett@gmail.com.

Associate position available in a busy practice in Co. Cork to replace a departed colleague. Great support with an experienced team of friendly staff and a nice working environment. Experience preferred. Contact mallowdentist@gmail.com.

Experienced associate required to replace a departing colleague. We have two busy private practices in south Dublin. Full list, fully computerised, digital scanner, OPG. Suits motivated associate who wishes to develop with a progressive, highly skilled team. Excellent earning potential. Contact laurasoshea@yahoo.co.uk.

Ennis, Co. Clare, Ireland. Associate required for busy practice in west of Ireland. Great work/life balance. Full book. Great staff, happy environment. Fully computerised. Excellent remuneration, experience preferred. Reply with CV to mahonydentalltd@gmail.com.

Cork (Midleton). Associate dentist required to replace departing colleague. Part-time two to three days a week (to include Saturday mornings). 50% remuneration. Vast majority private. Excellent earning potential. Fully computerised. Digital Xrays/OPG, multi-surgery practice. Contact npdent22@gmail.com.

Part/full-time dental associate required for a thriving modern dental practice in Roscrea, Co. Tipperary. Excellent support staff, positive working environment. Private and PRSI. Please send your CV via email. We would love to hear from you. Contact willrymer@expressionsclinic.com.

Associate needed – part-time/permanent position in very busy private clinic in Sandyford, south Dublin. Minimum of two years’ experience needed. Contact 01294 5122.

Associate wanted from February. Three to four days per week. Fully private, modern practice offering full range of general dentistry, along with full hygiene support, IV sedation, Invisalign, 3Shape scanner. Minimum three years’ experience. Full, busy book. Please email any enquiries. Contact eamonnugent@ivorydental.ie.

Dentists

Experienced, full-time dentist required to join a busy, long-established, fully computerised practice in Dublin 22. Full book. Excellent staff support in a collegiate working environment. Please send CV to practicemanager221@gmail.com.

Full or part-time dentist required for busy practice in Roscommon Town. Excellent remuneration, full book, private practice. Friendly and highly experienced support team. Contact jobs@alexandradental.ie.

46 Journal of the Irish Dental Association | February/March 2023: Vol 69 (1)
CLASSIFIEDS

Dentist required for a busy, well-established private practice in Limerick. Excellent friendly support staff, modern, well-equipped clinic. Busy book, excellent opportunity for professional development. Full-time/part-time. Email CV to wallacedentalclinic@gmail.com.

Dentist required for busy, well-established private practice in Kilkenny. Excellent, friendly support staff. Modern and well equipped. Busy book. Full-/part-time. Email info@springhillclinic.ie.

Full/part-time dentist required for busy north Dublin practice. This is a fantastic opportunity to join an amazing team in a modern practice. Start ASAP. Contact melissa.graham@smartdentalcare.co.uk.

Shields Dental and Implant Clinic is recruiting a general dentist with ortho experience. If you want to join an innovative team in our 5* practice, please do reach out to our HR department at alison.stubbins@shieldsdentalclinic.ie.

Northern Dental Inc. has an opening for a full-time dentist to join our wellestablished dental practice in Newfoundland, Canada. This is a busy practice with higher-than-average earning potential. If interested, please inquire at sshiwak@dal.ca for more information.

Are you interested in working in an ultra-modern practice alongside a specialist in Naas? Fully private and good remuneration. Mentoring available. Contact info@naasdental.ie.

Caring, enthusiastic dentist wanted for our busy, bright, modern clinic in Greystones, with a lovely patient base. Hours/days negotiable. Call Liam on 085-128 0859, or Email CV to sweeney114@gmail.com.

Caring, enthusiastic dentist required to work in a modern, supportive, computerised, friendly practice in Kilkenny. Three to four days. Excellent remuneration for right candidate. Contact lindafeehanmeagher@gmail.com.

Part-time dentist required for our busy, fully private practice. Days flexible. Full book and excellent remuneration. Digital scanner, microscope and state-of-the-art equipment. Very friendly and supportive staff. Hygienist available. Mentoring available in our progressive practice. Contact northdublindentalassociate@gmail.com.

Dentist wanted in modern, friendly, family-run practice in Tipperary, 30 minutes from Limerick, 20 minutes from Cashel/M7. Excellent support staff, fully digital (TRIOS scanner/OPG). Private practice, no medical card, 50% remuneration. Days/hours flexible, full/part-time. Contact dentalorthodontic23@gmail.com.

Dentist wanted to work Wednesdays, Thursdays and Saturdays with a view of going full-time, for busy computerised dental practice in Sandyford. Private and PRSI patients, excellent staff. Please email CVs to blackglendental@gmail.com.

Dental Care Ireland Callan – high earning opportunity within Callan Dental, our established, modern practice. Flexible hours, strong patient book on offer, fully supported by our friendly, skilled clinical team. We look forward to hearing from you. Contact careers@dentalcareireland.ie.

Dental Care Ireland Navan – due to exciting company growth, a great opportunity with flexible hours is now available. A high earning opportunity in our established modern practice. Experienced support team already in place. We look forward to hearing from you. Contact careers@dentalcareireland.ie.

Dental Care Ireland Galway – Dentist required for our modern established practice. Full- or part-time options, strong patient books, high earning opportunity. Modern facilities with experienced, friendly support team in place. Contact careers@dentalcareireland.ie.

Gorey, Co. Wexford. Two dentist jobs available. Days/hours/options are flexible. Full clinical freedom. Part-time or full-time. Three surgeries running six days a week.

Two hygienists. Fully qualified support staff. Computerised. Fully digital radiography. OPG. Brand new refit. Free parking. Contact jonnyk289@gmail.com.

Full-time dentist required for busy Limerick City practice. Established over 20 years. Extremely well run with excellent support. Private/PRSI/GMS. High earning potential. 50% remuneration. Long-term possibility of 55% split/partnership. Working days flexible. Mentorship for new grads. Contact karendentalsurgery@gmail.com.

Full/part-time dentist needed for beautiful, modern clinic in Dublin city centre. Fully private clinic with iTero scanners. Excellent support staff. Invisalign. Full training provided. Contact louise@clearbraces.ie.

Specialists/limited practice

Orthodontist required one to two days per week to join orthodontic practice in Cork. Option to work as a locum or take on own patient list. Excellent remuneration, working hours, facilities and support. Please email vacancies@corabbeyortho.ie in confidence if interested.

Dental Care Ireland – we have high earing opportunities due to exciting company growth. Orthodontists required in the west of Ireland and implantologist/endodontist opportunities nationwide. Flexible hours within established practices with state-of-the-art facilities. Fully supported by our skilled and experienced support staff. CVs to careers@dentalcareireland.ie.

Dental nurses/receptionists/managers

Enthusiastic full-time dental nurse required for modern practice in South Dublin. Located beside the LUAS station and a ten-minute drive south of Dublin city centre. Excellent opportunity for career progression. Excellent remuneration and flexible working hours. Contact southdublindentalassociate@gmail.com.

Dental nurse required to join our fantastic team across north Leinster. This is an exciting opportunity for a qualified dental nurse working alongside our team of highly compassionate and experienced dentists in a busy practice setting. Contact eve@boynedental.ie.

Dental assistant required for busy Dublin 7 private practice. Fully digital. Experience in orthodontics a must. Full/part-time. Working weekdays. CV to drerikawhitesmile@gmail.com.

Part-time dental nurse required to join friendly team in busy Dublin 3 practice. Two days, Wednesday/Friday. Training provided and immediate start. Contact annesleydental@gmail.com.

Family dental practice in south County Dublin, two minutes from Dart, requires enthusiastic and friendly full-time dental nurse. Start January 2023. Ideal candidate qualified, experience not essential, good chairside manner, excellent communication skills. Email cover letter and CV to ddentaldublin@gmail.com.

Dental nurse required for Saturdays in modern, family practice in Dublin 9, commencing January 2023. May suit dental hygiene or dental student with nursing experience. Contact niamh@drumcondravillagedental.ie.

Dental nurse Galway – primary care setting – orthodontic unit. Orthodontics experience is not essential. Email CV to unagaster@gmail.com, or phone Una ASAP at 086-035 2933.

Part-time dental nurse. Busy multi-disciplined practice, Navan, Co. Meath. Approximately 14 hours week, two evening sessions. Sedation trained a bonus. Start end January. Contact: gh@bridgeviewdental.ie.

Malahide Dental Care is looking to expand its team. Two positions available. Dental receptionist/practice manager and dental nurse. Private practice in an excellent

CLASSIFIEDS Journal of the Irish Dental Association | February/March 2023: Vol 69 (1) 47

location. Please reply with CV to cirociao4@gmail.com.

Carton Dental (Maynooth) requires friendly, enthusiastic and caring dental nurse. Part-time position. Friendly, experienced and supportive team. SOE, no medical card, excellent remuneration. For more information/to apply please send CV to cartondentalclinic@gmail.com.

Dental hygienists

Part-time position for dental hygienist for busy general dental practice ten minutes south of Dublin city centre. Excellent equipment, large patient list and experienced support staff. Excellent remuneration and flexible working hours. Contact southdublindentalassociate@gmail.com.

Full- and part-time dental hygienist roles available. Private practice. Full book. Florida probe, air polisher. Excellent support staff. Mentoring component offered. No late evenings or weekend work. Start date January 2023. Contact careers@deansgrangedental.ie.

Full-time dental hygienist roles available. Private practice. Full book. Up-to-date equipment; Cavitron, sand blaster. Hours/days negotiable. Commission on sales. Free parking. Opportunities to go on courses, further training always supported. Contact vicky@3dental.ie.

Part-time permanent hygienist required Tramore. One to two days, Monday, Tuesday or Wednesday. Experienced support staff, busy practice, lovely bright surgery. Contact bridcantwelldental@gmail.com.

We are inviting applications for a six-month locum hygienist position commencing April 2023. Three days per week, some flexibility regarding days. Role is supported by a dedicated DSA, decon staff and strong admin team. Please submit current CV by email for consideration. Contact angelamkearney@gmail.com.

Part-time hygienist position available. Fully private practice 15 minutes from city centre. Full book and excellent remuneration. Modern equipment including NSK scalers and air polisher. Free parking. Nursing support provided. Friendly and supportive staff. Mentoring available. Flexible working hours. Contact northdublindentalassociate@gmail.com.

Full- or part-time position for friendly and experienced dental hygienist for computerised (Dentally/SOE) general dental practice in Galway. Excellent equipment, friendly patients and great support staff. Excellent remuneration and flexible working hours. Contact info@jmedental.com.

Part-time dental hygienist required to join our hygiene team in a busy general private dental practice in Douglas, Cork. Full book. Great support staff. Excellent remuneration. Some flexibility for available hours and days. Contact info@fingerpostdental.ie.

Hygienist required for one to two days per week for a busy modern clinic in Terenure with a lovely patient base, a good working environment and great support staff. Excellent remuneration and flexible working hours. Contact olivia.plunkett@gmail.com.

Dental hygienist required for one to two days per week in a busy city centre dental practice in Kilkenny. Lovely support staff and a great working environment. Hours very flexible and great remuneration. Contact dentalpracticekilkenny@gmail.com.

Lab technicians

Qualified dental lab technician required, full-time or part-time at our Sligo clinic. We're looking for a friendly, professional and motivated individual with a positive attitude. Immediate start, modern surgery/lab, with excellent conditions. Contact practice.westcoastortho@gmail.com.

PRACTICES FOR SALE/TO LET

Co. Westmeath. Very busy, active two-surgery practice with room to expand. Prime location. Well equipped. Ample parking close by. Very low overheads, rent, etc. Computerised, digitalised, hygienist. Strong new patient numbers. Dentist retiring, fairly priced for speedy sale. Contact niall@innovativedental.com.

Escape the rain, 300+ sunny days, ski morning, beach afternoon. Long-established English international practice south of France, Valbonne, working three to four days a week. Owner does not do implants so huge potential. Retirement sale. Contact drhempleman@yahoo.co.uk.

Kilkenny City. Very busy two-surgery practice, with room to expand. Prime location. Very low overheads, including rent. Strong new patient numbers. Computerised, digitalised, hygienist service in place. Potential for speedy growth. Priced to sell. Flexible transition – negotiable. Contact niall@innovativedental.com.

Busy, two-surgery practice with room to expand. Great location in town centre, Co. Meath, 25 minutes from Dublin. Well equipped. Parking close by. Very low overheads on rent. Computerised and digitalised. Fairly priced for speedy sale. Contact bebilonv@gmail.com.

Co. Donegal. Busy three-surgery dental practice for sale in Buncrana. Established 30 years. Great growth potential. Principal available for transition period. Contact maevemulholland65@gmail.com.

South Dublin. Long-established two-surgery, fully private practice. Prestigious location, reasonably low overheads. Plentiful parking on site. Good new patient numbers. Top-class equipment, totally turnkey set-up. Active hygienist. Huge potential. Principal available for transition. Contact niall@innovativedental.com.

Kilkenny city centre. Low rent. Huge potential. Retirement planned. Principal available for transition. Priced to sell. Email dentalpractice3.1415@gmail.com.

Unique busy general practice in log house. Established over 22 years. Planning retirement. Visit my website: www.growsmiles.com. Stand out from the crowd. Get your work/life balanced in beautiful Co. Clare. Busy two-surgery practice. Long established. Large, loyal patient base. Huge potential to expand premises, patient numbers and services. Skilled experienced staff. Computerised, digital X-ray. Leasehold or freehold. Contact ennispracticesale2022@gmail.com.

Cork City dental clinic, located within a working medical centre. Huge client base, massive potential. Turnkey. Fantastic opportunity. Contact managingdirector@mdclinic.ie.

EQUIPMENT FOR SALE/WANTED

I will consider buying old equipment, especially hand equipment, forceps, etc. Please text dentist Jacques Lumbroso at 087-686 6180.

Planmeca Promax 2D OPG for sale – 10 years old. Very good condition, serviced by Medray. High-quality pictures. Reason for sale: getting CT. Contact hungariandentalinfo@gmail.com.

As a member of the Irish Dental Association you can use this logo on your website and other practice material. Contact aoife@irishdentalassoc.ie for details.

2023
MEMBER
CLASSIFIEDS 48 Journal of the Irish Dental Association | February/March 2023: Vol 69 (1)

Trailblazer

Our first interview of the IDA’s centenary year is with Prof. Mary Hegarty, Professor Emerita UCC and the first female Chair in Dentistry in the National University of Ireland.

Can you tell me about your background, and what led you to a career in dentistry?

I am from Waterford, from a farming and veterinary background. I attended the Convent of Mercy, Dungarvan, where I loved singing and music. I enjoyed biology and working with my hands. I wanted to work with people and was encouraged to do dentistry by the family dentist, Dr Tom Fleming. Based on my Leaving Certificate results, I was awarded the Waterford County Council University Scholarship, which covered my five years of university.

What was dental training like?

I qualified with the BDS NUI from University College Cork in 1955. The first half of the course was common with medicine. Lectures were held on campus, so we cycled to UCC for lectures a few times weekly, returning for clinical work in the Dental School on the northside. The class of 16 students had one other female student. We all got on well with lasting friendships.

There were no full-time teaching staff in the Dental School. Teaching was done by part-time staff, mainly general dental practitioners.

Can you tell me about your career in dentistry?

After qualification, I did general dentistry in the first year and passed Primary FDS. Next, I trained in oral surgery in Brighton, with Mr Paul Gillette, following which I became House Surgeon in the Eastman Dental Institute in London, working in each department. I was successful in the Final FDS RCS England at 24 and was the youngest on record to achieve this, a record that still stands. My specialist training in orthodontics was also at the Eastman and, once qualified, I worked as Senior Registrar with the first UK Regional Orthodontic Consultant, Dr John Hooper.

Returning to Cork, I began teaching part-time in the Dental School and worked in private orthodontic practice. In 1964, I was appointed to the first Chair in Orthodontics in the National University of Ireland and was the only female Professor in Dentistry throughout Ireland and the UK for 25 years.

There was no higher training in Cork for dental care professionals when I began. I developed postgraduate training of dentists at pre-specialist level for FDS and in the specialty of orthodontics. I prepared dental nurses, initially for the UK dental nursing qualification, and then devised the training course in CUDSH for dental nurses. I also trained dental technicians for the London City & Guilds Advanced Level in Orthodontics.

I was active clinically and loved the interactions with my young patients and families, with many complex conditions and interdisciplinary care. In my clinical teaching, engagement with dental students was stimulating and we developed a great rapport, which still continues.

When the Dental School moved to the CUH site, it enabled greater interactions with medical colleagues and tertiary patient care. Around the CUH, I became

known to staff as the ‘lady with the white coat and the handbag’.

In 1989, the EU Erasmus Programme funded the development of a new threeyear curriculum for orthodontic postgraduate education. I was the invited member for Ireland, with leaders of orthodontic education representing 15 European countries. The curriculum was published in 1992, translated into 12 languages and adopted by the American Orthodontic Association. It is the gold standard for Europe and the US.

On retirement from UCC in 1998, I worked in Manchester as Visiting Professor/Consultant in Orthodontics and am now fully retired.

What were the challenges you faced as a woman in the profession?

Professionally, I had excellent support from my orthodontic consultant colleagues in Ireland and the UK, and we maintained lasting professional relationships. However, within my own institution, it was certainly difficult working as a woman. I was the only professor in the entire university, in any faculty, never to be allocated a full-time lecturer. I had 80 clinical students to teach, a big clinical caseload, and 36 hours of direct student contact. There was no maternity leave and all of my children were born in the holidays. It was definitely a boys’ club throughout my tenure.

Across the University disciplines, there was good collegiality among professor colleagues, and they gave great support at monthly UCC Academic Council meetings.

What involvement have you had with the Irish Dental Association?

I was a member of the IDA and regular attender at meetings. As a speaker, I lectured at many IDA branch meetings and the Annual Scientific Meeting. I was a founder member of the Orthodontic Society of Ireland, established as a branch of the IDA, and of which I am now an Honorary Life Member. The IDA was important for all of us throughout our time. Attending meetings and exchanging views was a very effective way of meeting dentists and promoting high standards, which the IDA has always encouraged.

Mary enjoys a healthy retirement, meeting friends after morning Mass. She is in great health, and attributes this to keeping active, baking, and spending time with her five children and 23 grandchildren.

50 Journal of the Irish Dental Association | February/March 2023: Vol 69 (1)
MY IDA

DIRECTOR’S MESSAGE

A year of celebration and remembrance

As both of the dental associations on this island celebrate centenaries in 2023, we reflect on the past and also look to the future for dentistry.

2023 is an important year for dentistry on the island of Ireland, as both dental associations celebrate 100 years in existence. The BDA Northern Ireland Branch has planned a number of events to celebrate this milestone. We began by holding our 2023 Presidential Installation Dinner on January 27, the 100th anniversary of the formation of the Northern Ireland Branch. Dr Richard Graham is preparing a history of the BDA NI, which will be published later this year, and we will hold our Centenary Gala Ball on October 7 at Belfast City Hall.

I know senior colleagues in BDA nationally, and in Northern Ireland, are looking forward to joining with IDA colleagues to celebrate their centenary at the Association’s Annual Conference in May, and we look forward to welcoming our IDA colleagues to our own celebrations also.

The four nations’ wishes for 2023

As we enter the new year, the British Dental Journal asked each of the four British Dental Association offices across the UK to reflect on the past year's struggles and set out their wishes on how to improve the situation for 2023 and beyond. We were happy to offer our perspective.

In Northern Ireland we have found a dichotomy between dentists enjoying significant growth in private earnings and those for whom NHS dentistry is increasingly failing to generate sustainable returns. We have observed a failure on the part of the Government to plan strategically for the future, making it

New President, new Programme

Dr Philip McLorinan was installed as NI Branch President on January 27, and will lead the Branch for our centenary year. In addition to the centenary celebrations, Philip plans a comprehensive CPD programme for 2023, with something for all practitioners. Commenting on his plans, he said: “Working as a general dental practitioner for over 20 years, and a part-time undergraduate clinical tutor, it will come as no surprise that my CPD offering within the 2023 programme focuses on clinical practice and communication. The NI Branch has returned to much-needed face-to-face meetings again, and we have put together a range of educational and social events throughout the centenary year. These events are important for our continuing dental education. However, given the challenges of the past few years, I believe it is, more importantly, the opportunity to come out, meet colleagues, and re-connect with each other”.

increasingly difficult to recruit and retain associates willing to work in NHScommitted practices.

While a Cost-of-Service investigation and direct engagement with the profession is necessary, we also aim to support private practitioners, particularly the transition from NHS to mixed/private earnings. We look to the Government to establish a model of care that properly incentivises NHS care. We also recognise that there is an immediate need for dental workforce reform. Urgent action is required on the long-awaited CDS Workforce Review, on dental nurse shortages, and in naming and addressing key obstacles to effective recruitment and retention, and succession planning, across all specialties.

Five pledges to deliver better oral health in Northern Ireland in 2023 and beyond

The Northern Ireland Government needs to:

1. Present a GDS contract that is attractive and financially viable to deliver.

2. Target better oral health for children and the older population, guided by an updated Oral Health Strategy for Northern Ireland.

3. Deliver a Dental Workforce Plan incorporating, “a people-first approach”.

4. Get to grips with oral health inequalities.

5. Apply a strategic approach to dental reform.

CPD events will include: a look at dental sleep medicine with Dr Paul Reaney in March; ‘Composite v amalgam’ with Dr Louis Mackenzie in April; ‘Integrating implants into your practice’ with Dr Chris Gardiner in September; ‘Tooth wear: where we are with diagnostics for general practitioners’ with Dr Saoirse O’Toole in October; and, ‘Conversations that convert’ with Ashley Latter in November. Our Young Dentists and Community Dental Services Groups will also hold events, and our social programme will include golf events, and a garden walk at Hillsborough Castle.

Full details of our CPD programme are available at https://bda.org/newscentre/blog/Documents/NI-branch-programme-2023-AW-WEB.pdf. We hope as many members as possible will join us.

Journal of the Irish Dental Association | February/March 2023: Vol 69 (1) 7

Turn static files into dynamic content formats.

Create a flipbook
Issuu converts static files into: digital portfolios, online yearbooks, online catalogs, digital photo albums and more. Sign up and create your flipbook.