Journal of the Irish Dental Association

Page 7

JIDA

Journal of the Irish Dental Association Iris Cumainn Déadach na hÉireann

Volume 68 Number 6 December 2022/January 2023
Life saver Celebrating at the Colgate Caring Dentist Awards

Dr David McReynolds BA BDentSC MFDS RCSEd DChDent (Pros) FFD RCSI EDITORIAL

Dr Meriem Abbas BDS (NUI) MFDS RCSEd Dr Mirza Shahzad Baig BDS MSc (UK) PhD (TCD)

AnnMarie Bergin RDH

Dr Evelyn Crowley BDS (NUI) MSc (ULond) DDPHRCSEng MSc (TCD)

Dr Laura Kavanagh BDS Dip Clin Dent

Dr Geraldine McDermott BA BDentSc MFDS (RCSI)

PGradDip ConSed (TCD) MSc Healthcare Leadership (RCSI)

Dr Clair Nolan BDS (NUI) MSc (Endo) U. Lond

Dr Judith Phelan BDS (NUI) MDS (NUI) MSc (U Lond) MRD (RCS Eng and Glas)

Dr Catherine Vaughan BDS (NUI)

IDA PRESIDENT Dr Caroline Robins

IDA CHIEF EXECUTIVE Fintan Hourihan

CO-ORDINATOR Liz Dodd

The Journal of the Irish Dental Association is the official publication of the Irish Dental Association. The opinions expressed in the Journal are, however, those of the authors and cannot be construed as reflecting the Association’s views. The editor reserves the right to edit all copy submitted to the Journal. Publication of an advertisement or news item does not necessarily imply that the IDA agrees with or supports the claims therein. For advice to authors, please see: www.dentist.ie/resources/jida/authors.jsp Published on behalf of the IDA by Think Media, 537 NCR, Dublin 1 T: +353 1 856 1166 www.thinkmedia.ie MANAGING

ann-marie@thinkmedia.ie

BUSINESS NEWS All the latest news from the trade

NEWS FEATURE HSE dentists return to Portlaoise

COLGATE CARING DENTIST AWARDS Life saver: the full story of this year’s Colgate Caring Dentist and Dental Team Awards

CONTENTS 275 338 283 280 320 277
279
282
283
286
316 PRACTICE
New
317
318
320
326
330 ABSTRACTS 333 CLASSIFIEDS 338 MY
Dr
305 2022: THE YEAR IN REVIEW 4 Benefits of IDA membership 4IDA advocacy in
4Media coverage
EDITOR
EDITOR
EDITORIAL What makes a good dentist?
PRESIDENT'S NEWS Dentistry in the spotlight 280 NEWS Moloney Award 2022; Annual Conference 2023; Diary of events
MANAGEMENT
perspectives on record keeping
QUIZ
CLINICAL TIPS Visual examination for caries detection
PEER-REVIEWED Dens invaginatus and the paediatric dental patient: two case reports S. O’Dowling Keane, S. Lucey, G. Quilligan
CLINICAL FEATURE ADHD and oral health
IDA
Judith Phelan
2022
of dentistry HONORARY
Dr Cristiane da Mata BDS MFD (RCSI) Dip TLHE MPH PhD journaleditor@irishdentalassoc.ie DEPUTY
BOARD
EDITOR Ann-Marie Hardiman
EDITORIAL
ADVERTISING
DESIGN/LAYOUT Rebecca Bohan, Tony Byrne, Meliosa Fitzgibbon Audit issue January-December 2019: 3,986 circulation average per issue. Registered dentists in the Republic of Ireland and Northern Ireland. Irish Dental Association Unit 2 Leopardstown Office Park, Sandyford, Dublin 18. Tel: +353 1 295 0072 Fax: +353 1 295 0092 www.dentist.ie Follow us on Facebook (Irish Dental Association) and Twitter (@IrishDentists). Th!nk Media CONTINUE TO RECEIVE THIS JOURNAL IDA Members: FREE • Non-Members: €120/£100 per annum Digital copies: FREE • email subscribe@irishdentalassoc.ie MEMBER 2022 Journal of the Irish Dental Association | Dec 2022/Jan 2023: Vol 68 (6) THE YEAR IN REVIEW 2022 Cover
(from
Steve
Colgate; Dr
Year
and, Dr
Irish
Colm Quinn colm@thinkmedia.ie
Paul O’Grady paul@thinkmedia.ie Calum Petit calum@thinkmedia.ie
photo
left):
Wilson,
Clodagh McAllister, Colgate Caring Dentist of the
2022;
Caroline Robins, President,
Dental Association.

What makes a good dentist?

As dentists, we need to think about what our patients value in their interactions with us.

On November 19, dentists from all over the country got together to celebrate the profession, at the Colgate Caring Dentist and Dental Team Awards. It is a rare opportunity to have your role as a dentist recognised by those who mean the most: your patients. Many congratulations to all nominees and winners. In this issue, we share the highlights of the 2022 Awards (pages 286-314). That made me reflect on the question: what makes a good dentist?

What do patients value?

We all know the importance of good manual dexterity, maintaining professional knowledge, respecting patients’ dignity and choices … but are these the attributes that patients value the most?

A study conducted in the School of Dentistry in the University of Birmingham1 surveyed a sample of dentists, dental students and patients, to assess what they considered to be the most important attributes of a dentist. They created a list of attributes, with some taken from the standards set by the General Dental Council (GDC) and some generated from focus groups. Four of the top six ranked attributes selected by dentists were standards that were documented by the GDC (putting patients' interests first and acting to protect them; being trustworthy; respecting patients' dignity and choices; and, maintaining your professional knowledge and competence). This was the same for dental students, who also ranked the same four GDC guidelines within their top six attributes.

Interestingly, the study found that patients only had two of the GDC attributes in their top six. Furthermore, two of the top six attributes valued by patients related to good communication and relationships (maintaining a good patient relationship and communicating effectively with patients; and, providing patients with detailed information of risks and benefits before commencing any treatment).

The value of the dentist/patient relationship

Dentistry is a very arduous profession. Working on such a confined area, the mouth, is a very demanding job both physically and mentally. It is understandable then that sometimes dentists might get so focused on what they are doing that they end up forgetting that they are actually operating on a person. Additionally, a considerable amount of patients might suffer from an “overwhelming and irrational fear of dentistry associated with devastating feelings of hypertension, terror, trepidation, and unease”. This fear is known as odontophobia, and has been diagnosed under specific phobias according to the Diagnostic and Statistical Manual of Mental Disorders (DSM).2 Obviously, these patients in particular will benefit from an empathetic dentist, who explains procedures and gives patients some control over their overall treatment experience.

For those who are not afraid of the dentist, sitting in a dentist’s chair with their mouth hanging open can feel very uncomfortable. You don’t always

know what’s going on, and you may feel helpless or vulnerable. Therefore, a good patient-dentist relationship is crucial and, usually, patients will respond well to a friendly, sensitive, and sympathetic approach.

I recently came across this piece, which was published in 1879 in the American Journal of Dental Science, 3 about the duties of the dentist. It is fascinating to see how some things never change, especially in relation to the important qualities a dentist must have, including honesty, patience and kindness (whereas in other areas, we have come a long way, such as gender equality in the profession – only ‘he’ is mentioned throughout this paper):

I finish my last editorial of the year by thanking the JIDA Editorial Board, our publishers Think Media, and IDA CEO Fintan and COO Elaine for supporting me throughout my first year as Honorary Editor. I would also like to thank all the researchers, clinicians and academics who have continuously contributed with high-quality articles, helping us to maintain the academic standards of the Journal. It has been a fantastic and thoroughly enjoyable journey.

Happy Christmas!

References

1. Chandarana, P.V., Hill, K.B. What makes a good dentist? A pilot study. Dent Update 2014; 41 (2): 156-158, 160.

2. Appukuttan, D.P. Strategies to manage patients with dental anxiety and dental phobia: literature review. Clin Cosmet Investig Dent 2016; 8: 35-50. doi: 10.2147/CCIDE.S63626. PMID: 27022303; PMCID: PMC4790493.

3. Ford, W.W. The duties of the dentist. Am J Dent Sci 1879; 13 (4): 183-186.

277
EDITORIAL
Journal of the
Dental Association | Dec 2022/Jan 2023: Vol 68 (6)
Irish

Dentistry in the spotlight

The IDA is rounding off a busy year with a flurry of media activity, and a big celebration.

It’s been a busy time for the IDA as we embarked on a series of information roadshows for members. CEO Fintan Hourihan, Manager of the IDA’s Communications and Advisory Service Roisín Farrelly, Drs Will Rymer and Eamon Croke, and myself, visited Cork, Limerick, Dublin, Sligo, Galway, Kilkenny, Portlaoise and Killarney, and it was really enjoyable to get out around the country and meet people once again. The roadshows covered a range of important topics, including the ongoing DTSS contract issues, staffing shortages, and VAT. Dr Eamon Croke also gave an exciting preview of next year’s centenary IDA Annual Conference, which will take place in the fabulous Lyrath Estate in Kilkenny from May 11-13. A stellar line-up of local and international speakers has been secured for what will be a huge event for the Association, and the highlight of our centennial year. I for one am really looking forward to it, and strongly recommend that you put it in your diary for next year.

The strength of the IDA

The VAT issue deserves special mention, in particular to acknowledge the work done by the staff and volunteers of the IDA. This was potentially one of the biggest gamechangers in our history; the proposed changes would have forever altered the traditional model of dentistry in Ireland, and not for the better. In meeting with Revenue, engaging with public representatives, and seeking appropriate professional advice, the IDA managed to convey the complexities of the issue, and get the message across that dentistry is different, and that the repercussions of these changes would be incredibly damaging. Revenue’s final decision not to change the VAT status of the principal-associate relationship was a significant win for the Association and the profession.

all of our obligations, and seek independent legal and tax advice where appropriate.

New experiences

In November, I experienced a week of events I could never have imagined when I became a dentist. On foot of an article in the Irish Independent on dental tourism, I found myself first on the Claire Byrne Show on RTÉ Radio 1, and then on live TV, on Virgin Media’s Tonight Show, discussing all aspects of dentistry. It was truly a baptism of fire, and while I was very much out of my comfort zone, I enjoyed it immensely, and was very grateful to have the opportunity to represent the IDA, talking about issues that we face every day. I thank my fellow IDA members for giving me that opportunity. My thanks also to WeAre360, the IDA’s PR and public affairs advisors, who have been very proactive throughout the year in promoting the IDA and dentistry, and keeping us in that media spotlight.

In the days following these appearances, there were a huge number of calls to my practice from members of the public, thanking me for explaining the issues in terms that they could understand. This makes me wonder if, in our everyday practice, perhaps we’re not explaining things to our patients as well as we think we are. It’s easy for us to forget that our patients may not understand all of the terminology we’re using. We mustn’t lose sight of the fact that good communication is an essential part of what we do, not least because it prevents problems down the line.

Caring dentists

We are lucky as professionals that the IDA went out to bat for us, putting in many hours of work to get a very good result, and I offer my thanks on your behalf to Fintan Hourihan, Dr Clodagh McAllister, Dr Seamus Rodgers, and Mr Ronan King, one of our non-executive directors, for all their efforts. While the outcome on this issue is very reassuring for dentists in private practice, we as practice owners also need to continue to ensure that we meet

Further emphasising the power of the dentist-patient relationship, on November 19 we held our brilliant Colgate Caring Dentist and Dental Team Awards. I was absolutely delighted to present the winners with their awards on what was a fantastic night, full of fun and glamour. I was particularly pleased to see so many young, and non-Irish, colleagues joining us and sharing in the celebrations. Warmest congratulations to the winners and to all those nominated, and special congratulations to my predecessor as IDA President, Dr Clodagh McAllister, who won the overall award with an outstanding story of saving her patient’s life with a timely intervention. The great value of these awards is that they are patient nominated; they are a lovely testimony to what matters most to us and our patients – not just oral care, but good health overall.

Finally, can I take this opportunity to wish you and your families a happy and healthy Christmas, and the best that the New Year has to offer. 2023 is a big year for the IDA, and we hope you’ll join us in celebrating our centenary, and in building an Association to serve dentists into a new century.

279 PRESIDENT’S NEWS
Robins
There was a huge number of calls to my practice from members of the public, thanking me for explaining the issues in terms that they could understand.
Journal of the Irish Dental Association | Dec 2022/Jan 2023: Vol 68 (6)

Moloney Award 2022

The Dental Health Foundation Ireland, as part of its Excellence in Practice Awards, is delighted to announce the winner of the Moloney Award 2022. The Moloney Award is given annually to an outstanding Irish presenter/lecturer at the IDA's Annual Conference, and is chosen by the delegates. This year’s winner is Dr Aisling Donnelly, whose lecture, ‘Endodontic mishaps: how to predict, avoid and recover from them’, focused on providing a systematic

approach to ensure that dentists can deliver consistent and successful treatments for their patients without any stressful complications. Dr Donnelly was awarded a specially commissioned crystal bowl at a dinner hosted by the Dental Health Foundation to celebrate her achievement. Speaking about her win, she said: “I am absolutely delighted to be the winner of the Moloney Award. Considering there were so many excellent presentations throughout the IDA conference, it is a real honour to be selected. It’s also nice to know that endodontics remains a popular topic among conference goers. Thank you to the Dental Health Foundation for continuing to sponsor this award as well; it is an honour to be added to the very impressive list of past winners”.

The dinner was also attended by Dr Mary Coleman, Chairperson of the Board of Trustees, Dental Health Foundation, Dr Paddy Crotty, Trustee of the Dental Health Foundation, Orlaith Kennedy, Chief Executive, Dental Health Foundation, and Dr Caroline Robins, President of the Irish Dental Association. The event provided a timely opportunity post Covid to explore strategic development through leadership, partnership and collaborative thinking about critical oral health issues in Ireland.

Orlaith Kennedy said: “The award promotes best practice and innovation, and encourages learning. It is a wonderful tribute that their work is recognised by their peers. We are delighted to recognise the outstanding efforts by oral health professionals in oral health development, and by those who have demonstrated excellent performance in areas that enhance new thinking in this area”.

Supporting dental editors and writers

NEWS 280 Journal of the Irish Dental Association | Dec 2022/Jan 2023: Vol 68 (6)
From left: Orlaith Kennedy, Chief Executive, Dental Health Foundation; Dr Aisling Donnelly, winner of the Moloney Award 2022; and, Dr Caroline Robins, President of the Irish Dental Association. (Photograph: Paul Sherwood Photography.) The Journal of the Irish Dental Association’s Honorary Editor, Dr Cristiane da Mata, pictured with Dr Stephen Hancocks, Editor-in-Chief of the British Dental Journal, at the British Dental Editors and Writers Forum (BDEWF) dinner in London. Dr da Mata is a member of the BDEWF and joined editors, reviewers and writers to discuss scientific publishing in dentistry, including possible online courses on writing scientific papers.
Wishing all our clients past, present and future A very Merry Christmas and a Happy New Year Probably the best quality crowns and bridges available in Ireland

IDA ANNUAL CONFERENCE 2023

Annual Conference 2023 will be a conference with a difference! In celebrating our 100 years, the IDA is delighted to bring to you a fantastic three-day event from May 11-13 at the stunning Lyrath House Estate in Kilkenny.

A stellar line-up of local and international speakers is planned, including Prof. Avi Banerjee, Dr Celine Higton, Dr Chris Orr, and Dr John Alonge, to name but a few. The full programme is available to download from www.dentist.ie.

Don’t delay and book early – some popular hands-on courses will fill up fast.

WEBINARS 2023

Webinars for January/February 2023 will continue monthly on Wednesday evenings at 8.00pm, unless otherwise advertised. The first webinar of the New Year will take place on Wednesday, January 25. All webinars (except for those indicated) are available for members to view at any time on the members’ section of www.dentist.ie.

DATES FOR YOUR DIARY

PREDICTABLE ENDODONTICS

Friday, February 24, Limerick

This full-day, hands-on course will be given by Dr Eoin Mullane (practice limited to endodontics). The course is supported by Coltene. To book, go to www.dentist.ie.

EASTERN REGION ASM

Friday, March 31, 2023 – venue to be confirmed

BLS COURSES FOR DENTAL PRACTICES OFFERING SEDATION

A full-day basic life support (BLS) and medical emergencies course specifically designed for those who offer sedation will take place at the following venues and dates:

Dublin April 28, 2023 – Dental ILS (Sedation) – Radisson Blu, Dublin Airport April 29, 2023 – BLS – Radisson Blu, Dublin Airport

Cork

June 16, 2023 – Dental ILS (Sedation) – Maryborough Hotel, Cork June 17, 2023 – BLS – Maryborough Hotel, Cork

HSE SEMINAR 2023

October 12-13, 2023, Midlands Park Hotel, Portlaoise

NEWS 281
Vol 68 (6)
Journal of the Irish Dental Association | Dec 2022/Jan 2023:

Coltene at Dentistry Show London

At the Dentistry Show London in October, Coltene showcased many of its tools available to dentists. The company launched HySolate Latex Dams, including the flagship Black Edition. According to the company, all HySolate dams are low protein and powder free, reducing the risk for hypersensitivity, as well as allowing endodontists to establish a dry operating field and an effective barrier for infection control.

One endodontist who uses Coltene’s products spoke recently about the advantages he believes they offer. Dr Sagi Shavit (pictured above) of the Cleveland Terrace Dental Practice in Darlington in the UK, said: “HyFlex EDM files are super elastic, efficient and safe – they will own any canal you’ll give them. I also use the CanalPro Apex Locator, which provides crisp and accurate readings of the working length and is an indispensable tool during endodontic treatment”.

Other products in the company’s range include the BRILLIANT EverGlow composite, the CanalPro Jeni endomotor, and the SciCan STATIM 6000B G4+ vacuum autoclave.

282 Journal of the Irish Dental Association | Dec 2022/Jan 2023: Vol 68 (6)
Annual Conference Lyrath Estate | Kilkenny | May 11-13, 2023 BUSINESS NEWS
IDA

HSE dentists return to Portlaoise

Public service dentists gathered in Portlaoise in October for their first in-person Annual Seminar since 2019.

The HSE Dental Surgeons Group of the IDA held its first post-pandemic Annual Seminar in Portlaoise from October 13-14. It was fantastic to gather in person once again, and a really impressive line-up of speakers shared their knowledge with those in attendance over the two days.

The Seminar began with an opening address from Chief Dental Officer Dr Dympna Kavanagh, who thanked the members of the HSE Dental Service for their resilience and hard work during the pandemic, when they were an indispensable part of the vaccination, testing and contact tracing effort. She also acknowledged the toll that Covid-19 has taken on the health service, including the dental service, saying that the Minister for Health has allocated an additional ¤16.1m to the dental service to address waiting list backlogs and fund targeted initiatives. Dr Kavanagh spoke on the WHO’s global oral health strategy, announced in 2021, and how this mirrors the aspirations of Smile agus Sláinte, the national oral health policy, to focus on good outcomes based on need throughout life. She said that while change is coming, it is important not to lose the strengths of the existing service, focusing on prevention, health promotion, and treatment of the vulnerable in society. That change must reflect the voice of the practitioners on the ground, and Dr Kavanagh urged those present to make their voices heard so that policy development best serves dentists and their patients.

Practical advice

Dr Anne O’Connell spoke next on practical advice to optimise outcomes in dental trauma. She outlined the three Ps: prevention (to minimise long-term harm); promotion of healing; and, preparation (keeping skills and knowledge up to date), and pointed delegates towards the International Association for Dental Traumatology (IADT) as a source of information and resources. Early, appropriate management is key, even if that involves a simple ‘watch and wait’ approach (she emphasised the importance of reassuring patients and carers when taking this approach). She discussed the latest research, offering advice on techniques and materials.

The presentations moved away from a clinical focus with Dr Noel Kavanagh, who spoke on avoiding burnout. Dentistry is a stressful profession, and dentists suffer from higher rates of depression and other mental health issues than are found in the general population. He described burnout as a “condition born out of good intentions”, with symptoms that can be

physical, emotional, cognitive and behavioural. He offered tips and advice on how to prevent burnout at organisational and personal level, saying that promoting a calm and civil working atmosphere, where achievement is celebrated, is key. On an individual level, he talked about learning to manage our energy, rather than our time, and “living with less than perfect”, something dentists find difficult!

Prof. Siobhán Barry was up next to speak about managing the high-cariesrisk paediatric patient. Early intervention (first tooth, first visit) is crucial, and Prof. Barry listed a range of treatment and behaviour management techniques to support children and parents. While prevention is always better than cure, she outlined treatment options such as fluoride varnish, fissure sealants, silver diamine fluoride, and the Hall crown technique, briefly setting out the pros and cons of each. Finally, she spoke on advanced

anaesthetic, which are last options,

Journal of the Irish Dental Association | Dec 2022/Jan 2023: Vol 68 (6)

283
Chief Dental Officer Dr Dympna Kavanagh thanked the members of the HSE Dental Service for their resilience and hard work during the Covid-19 pandemic.
NEWS FEATURE
techniques such as sedation and general
but sometimes essential.
Dr Eleanor McGovern addressed the HSE Dentists Annual Seminar on dental care for children with complex medical needs.

Getting it right

After lunch, orthodontist Dr Shane Higgins spoke on orthodontic problems and solutions in managing the mixed dentition. Using a range of clinical examples, he outlined the treatment planning and decision-making process around proposed extractions of first permanent molars of poor prognosis, impacted incisors, and double teeth. He gave tips on how to measure crowding, and discussed the importance of a timely orthodontic consultation to plan for future treatment. He concluded by saying that issues in the mixed dentition can be complex, and timing is crucial, but there are guidelines available to assist clinicians, and he advised seeking specialist advice if you’re not sure how to proceed.

Dr Niamh Galvin’s presentation covered infection prevention and control in relation to dental water lines. She discussed the microbiology of dental water lines, how they develop biofilm, and a range of protocols for maintenance of water lines in the dental surgery. For whatever system is in use in a dental surgery, it is crucial to follow the manufacturer’s instructions for maintenance and cleaning, as different systems carry different recommendations. She concluded by saying that every clinic should have a testing protocol, which follows manufacturer’s instructions.

Dr Eleanor McGovern described the work of her small team at Children’s Hospital Ireland Temple Street, which provides dental treatment to children with a broad range of complex medical conditions. She discussed a number of these, including craniofacial conditions, rare bone disorders, inherited metabolic disorders, epilepsy, and neurodisability. Each of these conditions can carry specific and complex dental challenges, and in Temple St the multidisciplinary team has developed dental pathways to best manage help these patients. Eleanor emphasised the importance in all cases of proactive preventive care, with regular review and update, and early intervention where necessary.

The work of the IDA

As the first day’s session came to a close, Roisín Farrelly, Manager of the IDA’s Communications and Advisory Service, gave a presentation on the Association’s work on behalf of members during the last year, and its plans for future campaigns and advocacy. Members have now accepted the new public service pay agreement, and Roisín outlined the details of this. She also spoke of action the IDA has taken on behalf of individual members in relation to sick pay, salary and pensions, among other issues, and reminded members that the team at IDA House is there to represent and advocate for them if they have any issues. In terms of future issues, she said that they would be working hard to ensure

that public service members had access to and funding for CPD. The IDA is also committed to addressing the staffing shortage in dentistry, which is a key issue for dentists in both the public service and private practice. The IDA has lobbied on this issue for a number of years and Roisín said that the HSE has now agreed to develop a strategic workforce plan for the HSE dental service. The IDA has also launched a public affairs and PR campaign on this issue called Bridging the Gap, which is patient focused, and targets all sectors of dentistry. She finished by asking members for their active support in these campaigns, whether by getting involved in committees and volunteering their time, acting as media representatives, or simply being active on social media to amplify the Association’s messages.

IDA CEO Fintan Hourihan addressed members on possible upcoming changes to legislation, which are likely to focus on inspection of dental practices – both public and private – and mandatory CPD. He also said that implementation of Smile agus Sláinte seems likely in the near future, and told members that it is vital that they express their views and make their voices heard on any proposed changes to the public dental service.

Every Smile Matters

The second day of the Seminar began with a short presentation from Dr Myra Herlihy on the HSE’s Every Smile Matters programme, which was launched in April. Every Smile Matters is an e-learning programme for primary care dental teams, developed by the National Oral Health Office in collaboration with colleagues from the HSE’s Dental Services. The core principles of Every Smile Matters are inclusivity and diversity, and it is a whole-team approach for dental teams. Dr Herlihy outlined the programme’s six modules, which are available, along with downloadable tools and resources, at www.hseland.ie/EverySmileMatters.

Dr Rona Leith delivered a two-part presentation on minimal intervention dentistry for carious primary teeth. Dr Leith’s first presentation covered silver diamine fluoride (SDF). She presented numerous case examples to demonstrate what SDF is and how it works, and the advantages and disadvantages of its use. She presented advice on how to decide which teeth will benefit from SDF treatment, and a step-by-step guide to application. She concluded by reiterating that SDF is simple to apply, but correct diagnosis is very important, as well as fully informed consent.

Dr Leith’s second presentation looked at the Hall crown technique. Once again, she outlined the history of the technique, and its advantages and disadvantages. She emphasised that correct diagnosis is key – this technique is not suitable in cases of irreversible pulpitis or necrosis, so bitewing radiography is essential. It is also important to discuss the technique with parents, and with the child, so that they are clear on what the crowns will look like, and what aftercare will be required. She listed all of the equipment needed for this technique and once again outlined the step-by-step process involved.

NEWS FEATURE
Roisín Farrelly of the IDA gave a presentation on the Association’s work on behalf of public service dentist members during the last year.
284 Journal of the Irish Dental Association | Dec 2022/Jan 2023: Vol 68 (6)
New President Dr Joanna Sikorska receives the chain of office from Dr Philip Mulholland.

Clinical psychologist Dr Brian McClean rounded off the morning’s session with an interactive talk on emotional resilience. He talked about the personal and professional effects of stress and burnout, and the importance for all of us of emotional literacy – learning about our emotions and triggers so that we can challenge negative thoughts when they occur. As well as emphasising the importance of sleep and regular exercise, he talked about mindfulness, and what he called the three forms of happiness: knowing what gives us pleasure; knowing and appreciating our strengths; and, knowing what’s important to us. He finished with a short mindfulness exercise that can be used to refocus at times of stress, or just between consultations.

Being clear

After lunch, Dr Vicki Jones talked about dementia-friendly dentistry. While the data on the impact of dementia on oral health is conflicting, anecdotal evidence would suggest that people with dementia lose more teeth, suffer more from caries and periodontal disease, and have poorer denture care. She outlined what makes a dementia-friendly premises, including reducing noise and distractions, providing facilities to help prevent falls, and patient information that’s easy to read. She gave advice on formulating an oral care plan for a patient with dementia, and the importance of a team approach, involving family and carers, especially if the patient is in a residential setting.

Care plans must be realistic, and incorporate minimal intervention approaches that take into account the stage of dementia, right up to end of life care.

Dr Andrew Bolas was up next, asking the question: ‘why do dentists like panoramics and cone beams?’ He discussed the optimum use of panoramics, including for orthodontic assessments and assessment of third molars. To avoid errors, he advised following manufacturer’s instructions, giving clear instructions to patients, and picking the right exposure factors. Answering the question, will cone beams take over, he said yes, and outlined some advantages and disadvantages of their use. For dentists wondering if they need to have a CBCT scanner in their practice, he said that there are many areas where they can be useful, but they are not indicated for caries or routine periodontic treatment, so may not be suitable for all practices.

The final presentation of the day came from Dr Dermot Murnane, who offered a range of basic surgery tips. He described issues that come up frequently in his practice and how to manage them. He said that oral surgery is a step-by-step process, and that mistakes happen, but shouldn’t put us off, as we learn from them. Doing surgery “slowly, often and well” will lead to incremental improvements. His talk covered a range of issues in surgery, from local anaesthetic to the best extraction techniques.

285 Journal of the Irish Dental Association | Dec 2022/Jan 2023: Vol 68 (6)

NEWS FEATURE

Life saver

On a fantastic night at the InterContinental Hotel in Dublin in November, dentists gathered to hear the announcement of the national and regional Colgate Caring Dentist of the Year Awards for 2022, and the winners of the Colgate Caring Dental Team of the Year.

Presided over by MC Anton Savage with great efficiency, 72 individual dentists and 35 dental teams received recognition for the fact that they had been nominated by their patients for awards. It takes time and effort to nominate a dentist or a dental team for their work and it’s not done lightly, so it is fair to say that on this occasion, all were winners. However, the judges had a tough task to separate the national and regional award winners from the ‘merely’ great care identified by patients.

Following an address from Steve Wilson, Professional Business Manager, UK and Ireland, for Colgate, all dentists and dental teams received their certificates. The excitement was at fever pitch by the time we reached the announcement of the winners of the regional and national awards.

Colgate Caring Dentist of the Year

Overall winner

During the pandemic, a mother of young children with an elderly parent also in need of care had been feeling unwell for some weeks. She put her symptoms down to her busy life and the prevalence of Covid-19 in the community. Then she noticed some heavy bleeding from her gums and made an appointment to see her dentist. Already a nervous patient, when Dr Clodagh McAllister examined her, she very gently said that the patient needed to see her GP right away. During the pandemic, seeing your GP wasn’t straightforward but Dr McAllister made the call herself and assured the patient that her GP would see her immediately and not to worry. The GP told the patient that she was extremely ill and called an ambulance. The consultant who saw and treated the patient said that a further 72-hour delay would have meant that the patient’s liver disease was untreatable and the patient would not have survived. For her rapid and caring action on behalf of her patient, Dr Clodagh McAllister is the Dublin and overall winner of the Colgate Caring Dentist of the Year Award for 2022.

Connacht winner

A long-term patient of this dentist nominated the Connacht winner for providing a lifetime of care, which went beyond normal dental treatment. This care culminated in a range of oral health treatments needed while the patient underwent treatment for a stage four breast cancer diagnosis. Recognising

when the patient was able for that care – and not able for that care – was central to the patient having total confidence in receiving the treatment. The provision of some human kindness in the form of assistance with the patient’s honeymoon compelled the patient to nominate Dr Miriam Grady.

Munster winner

An oesophageal cancer patient was dealing with the shock of diagnosis when he was told that he would need a letter of clearance from his dentist before he could start his chemotherapy. He was a self-described ‘sporadic’ patient of Dr Rita O’Dowd and he knew he might have a problem with an infection in one of his front teeth. However, on the day he rang Dr O’Dowd she immediately agreed to see him after her last patient. Dr O’Dowd was keen to save the front tooth and very quickly consulted with several specialists, but their opinion was divided. Ultimately the patient’s front tooth had to be removed, and a retainer made to replace the crown of the tooth. All that was done in three working days and the patient was cleared for his chemotherapy treatment. Dr O’Dowd refused to charge the patient. Consequently, he nominated her for an award and the judges agreed that Dr Rita O’Dowd is the Munster winner of the Colgate Caring Dentist of the Year Award for 2022.

Rest of Leinster winner

A patient who avoided the dentist at all costs as a result of pure fear, chipped a tooth, exposing the nerve. The pain drove her to seek out a dentist and she found Dr Niall Neeson online through his profile as ‘The Calming Dentist’. Even though he had talked her through the likely procedure, she was so nervous that when it was her turn to go into the surgery, she ran to the bathroom. Dr Neeson talked to her in reception until she was ready. The patient chose the sedation on offer and had the tooth removed. She has since returned for all the necessary care and says that Dr Neeson has transformed her attitude to dentistry. For that work, Dr Neeson is the Rest of Leinster winner of the Colgate Caring Dentist of the Year Award for 2022.

COLGATE CARING DENTIST 286 Journal of the Irish Dental Association | Dec 2022/Jan 2023: Vol 68 (6)
NATIONAL WINNER Colgate Caring Dentist of the Year 2022

REST OF LEINSTER

SPECIAL AWARD

Ulster winner

On a bank holiday weekend, a family were out for a walk with their Golden Retriever on a lead being held by their five-year-old daughter. The dog reluctantly crossed a cattle grid and as soon as he was over it, he bolted, pulling the little girl face down onto the grid. When she stopped screaming, the girl’s mother could see front teeth hanging out and a huge volume of blood. An emergency call was made to Dr Bernadette Fee, who met the family at her surgery. Not only had the hysterical and traumatised child to be treated, but the mother needed water and glucose tablets as she felt she was going to faint. Dr Fee calmed the child, got the teeth back in place, fixed a splint, prescribed antibiotics – and ice cream – and arranged a follow up X-ray afterwards. For her working in calming and treating the distraught child, Dr Fee is the Ulster winner of the 2022 Colgate Caring Dentist of the Year.

Colgate Caring Dental Team of the Year

The nominator for the winner of the Colgate Dental Team of the Year Award for 2022 developed a TMJ disorder that caused her excruciating pain in her jaw. Her mental health also deteriorated because of a visceral fear of seeing the dentist. She went to a chiropractor, a physiotherapist and a doctor rather than face the dentist. Eventually she had to give in as the pain was unbearable. This patient described the teamwork in the practice of Dr Susan Crean, but especially the professional working relationship between the dental nurse and the dentist, as exceptional, and resulting in successful treatment and a huge improvement in her dental phobia. As a result, the members of the team at Dr Susan Crean Dental & Facial Aesthetics are this year’s winners of the Colgate Dental Team of the Year Award.

Special Award

The judges received over 1,500 nominations. Among them was one that, although not directly relating to the care of a specific patient, in their opinion, deserved recognition. It is a dentist who arrived in Ireland as nineyear-old boy with no English from his home country of Iraq, which at the time was suffering the ravages of war. The eldest son of his family, on leaving school, he succeeded in gaining a place to study dentistry at TCD. When he began to practise dentistry in his mid-twenties he also financially supported his three younger siblings in the pursuit of their education and his parents who struggled to learn English.

In the past three years this dentist has travelled to the Dominican Republic as part of the G3 Foundation, an international non-profit organisation dedicated to treating dental disease, and to his native Iraq to provide medical care with the non-profit Imamia. For these reasons, the judges decided to make a Special Award of recognition to Dr Mustafa Al Mohsen.

Judges with a hard task

Selecting the winners from over a thousand entries were: Dr Seton Menton, former general dental practitioner and former tutor with the Dublin Dental University Hospital; Dr Frances O’Callaghan, Principal Dental Surgeon, HSE, Dublin South – East Wicklow; Dr Anne O’Neill, Assistant National Oral Health Lead Dental ICT, Epidemiology, and Dental Public Health; and, retired general dental practitioner Dr Tom Feeney.

Journal

MUNSTER Colgate Caring Dentist of the Year 2022
CARING DENTIST 287
COLGATE
CONNACHT Colgate Caring Dentist of the Year 2022 ULSTER Colgate Caring Dentist of the Year 2022 Colgate Caring Dentist of the Year 2022
Vol 68 (6)
of the Irish Dental Association | Dec 2022/Jan 2023:
Colgate Caring Dentist of the Year 2022
Vol 68 (6) 288
Journal of the Irish Dental Association | Dec 2022/Jan 2023:
COLGATE CARING DENTIST
From left: Ronan King, Non-Executive Director with IDA; Awards judge Dr Seton Menton; Estelle Menton; Helen Hayes; and, IDA CEO Fintan Hourihan. Anton Savage was once again MC for the night. Steve Wilson of sponsors Colgate.
COLGATE CARING DENTIST 289
From left: Sinead Gillespie; Dr Mpho Kgosi; Michelle Lynch, and Dr Aneta Spring of Spring Dental. From left: Dr Carmen Anastasiu; Dr Natalia Berlinschi; and, Dr Ruxandra Jimenez of 3Dental. Above (from left): Dr Ioana Pavelean; Dr Roxana Irina Dobos; and, Simona Daniela Sanduleac of St Peter’s Square Dental Clinic. Left (from left): Dr Sashkia Darar and Toni McAdams of McEvoy Dental. From left: Dr Ciaran Ryan; Dr Alison McCullough; Dr Grainne Gillespie; and, Dr Ciara Halton; of Smile Hub Dental Clinic. Declan Herlihy and Awards judge Dr Frances O’Callaghan.
Journal of the
Association | Dec 2022/Jan 2023: Vol 68 (6)
From left: Sarah Galvin, Dame Street Dental; Claire Farrell, Woodstown Dental Centre; and, Anita Silva, McEvoy Dental.
Irish Dental

Caring Dental Team Award winner and nominees

Here are the dental teams nominated by their patients for a Colgate Caring Dental Team Award. Journal of the Irish Dental

COLGATE CARING DENTIST 292
Colgate Caring Dental Team of the Year: Susan Crean Dental & Facial Aesthetics From left: Betty Cremin; Daniel Hyla; and, Dr Susan Crean.
Vol 68 (6)
Association | Dec 2022/Jan 2023:

3Dental

Alexandra Dental Claremorris

COLGATE CARING DENTIST 293
Back row (from left): Dr Sandra Montano; Dr Anna Beattie; Dr Niall Vallely; Dr Simona Kostova; Shauna Ward; Dr Peter Doherty; Hallie Ridgeway; Peter Campbell; Dr Alba Urdaneta; Dr Joaquin Rinon; Dr Ruxandra Jimenez; and, Caitlin Buchanan. Front row (from left): Dr Ignacio Barbón; Dr Omar Abu Rabia; Dr Carmen Anastasiu; Dr David McMahon; Dr Natalia Berlinschi; Dr Luis Suarez; and, Dr Paula Taracido From left: Elza Lace; Dr Ashraf Amin; Catriona Staunton; and, Michelle McNulty. An Fiaclóir Deirdre Dental Clinic
Journal
Association | Dec 2022/Jan 2023: Vol 68 (6)
From left: Anita Mullen; Asia Baran; Caitríona Murray; Nicole Buckley; and, Dr Deirdre Ní Dhonnchadha.
of the
Irish
Dental

Boyne Dental Navan

Back row (from left): Dr David Murnaghan; Margaret Neeson; Claire Fitzgerald; Eve O’Hea; and, Dr Niall Neeson. Front row (from left): Grace Coleman; Carol Murnaghan; and, Emma Walsh.

Carlow Dental Centre

Back row (from left): Dr Sandor Kisznyer, Dr Aashish Mishra; Dr Krisztian Sallai; Dr Tamas Papp; Dr Aaron Rai; and, Dr Sajjad Rezaie. Front row (from left): Dr Jeannine Jackson; Dr William Hayfron; and, Dr Sunny Chang.

COLGATE CARING DENTIST 294
| Dec 2022/Jan 2023: Vol 68 (6)
Journal of the Irish Dental Association
COLGATE CARING DENTIST 295
Charlestown Medical & Dental Centre
Dental Care
Back
Journal
Dental Association | Dec 2022/Jan 2023: Vol 68 (6) DENTANET DENTAL LABORATORY SERVICE SPECIAL OFFER PFM (PORCELAIN TO METAL) €50.00 PJZ (ZIRCONIA / PORCELAIN) €69.00 22 Tralee Road, Castleisland, Co. Kerry V92 AF82 T: +353 (0)66 714 3964 M: +353 (0)87 332 4779 E: infodentanet@gmail.com www.dentanet.ie Please quote ‘JIDA SPECIAL OFFER’ to avail of these rates (one crown per dentist) valid until 28 February 2023.
From left: Maryann Matthews; and, Dr Tomas Henrikson.
Clear
Crumlin
row (from left): Dr Edel McSweeney; Dr Isabelle Lim; Dr Kathryn Traynor; Dr Sarah Mangan; Meaghan O'Loughlin; Amy Boland; Erika Kiernan; and, Amy Mahon. Front row (from left): Keeva Sherratt; Erin Best; and, Eva Byrne.
of the Irish

Dame Street Dental

Journal of the Irish Dental Association | Dec 2022/Jan 2023: Vol 68 (6)

CARING DENTIST 296
COLGATE
Cork Dental Smiles Dr Maria Byrne. Back row (from left): Kamran Raiysat; Aiza Revazova; Meave Dolan; Karen Hammond; Eimear Powell; Michael O'Halloran; Ciara O'Connor; Zainab Waheed; Alannah Hargan; Alex Kenny; Eavan Dietritch; Sinéad Louge; Nicola Hayes; Whithney Fonkoh; Lucy Horrigan; Ciara O'Hara; Shannon Dolan; Jayashree Santhosh; Anna Samsonova; Gustavo Cavalcanti; Peter Hamer; and, Imran Riyasat. Front row (from left): Amy Armour; Natalia Gill; Mia Coffey; Sarah Galvin; Liz Howe; Beatriz Lara; Ashwini Ghogare; Keila Larrouse; and, Ceclia Williams.
COLGATE CARING DENTIST 297
Devereux Dental and Orthodontics Dr Nicolette Ravenscroft. Dental Care Ireland Westport From left: Holly Petit; and, Dr Rachel Goggins. Dublin Street Dental Clinic Dr Naoishe Gorham and Dr Tom Canning. Dunboyne Orthodontics Dr Mary Ngeh.
| Dec
2023: Vol 68 (6)
Journal of the Irish Dental Association
2022/Jan

Fee Dental

From left: Elaine Duffy; Dr Shauna Daly; Dr Bernie Fee; Kerrie Byrne; and, Barbara McGarrell.

Friary Court Dental & Facial Clinic

Back row (from left): Dara Maher; Shaunagh Walshe; Aoife Tyrell; Tammy Burke-Kelly; and, Dr Josephine Leahy. front row (from left): Nya Bay-Hammond; Brian Pagni; and, Vicky Planciunaite.

Journal of the Irish Dental Association | Dec 2022/Jan 2023: Vol 68 (6)

COLGATE CARING DENTIST 298
Expressions Dental and Cosmetic Clinic Dr Will Rymer; and, Dr Sarah Rymer.

Kinnegad Dental

From left: Dr Caroline Byrne; Iris Aherne; Dr Marcella Torres Leavy; and, Aidan Leavy.

Grady Family Dental

From left: David Morrin; Joe Morrin; Dr Miriam Grady; Rory Morrin; Seamus O'Neill; and, Sinead Beattie.

LUX DENT

From left: Dr Inesa Breidaka; Dr Maria Stenka; Dr Dawid Stenka; Dr Katarzyna Dobrylko; and, Jolanta Kamlyuk.

COLGATE CARING DENTIST 300
| Dec 2022/Jan 2023: Vol 68 (6)
Journal of the Irish Dental Association

McEvoy Dental

COLGATE CARING DENTIST 301
Moloney Dental Practice Dr Hannah Willsher. No. 8 Clinic Cornmarket From left: Dr Rita O’Dowd; Dr Joe Griffin; and, Sadbh O’Connell. Back row (from left): Brian Pagni; Dr Fionnuala Lyons; Shaunagh Walshe; Natalie Brannigan; Dr Paul McEvoy; Majella Koukoulis; and, Dr Michael Koukoulis. Front row (from left): Anita Silva; Toni McAdams; Dr Sashkia Darar; and, Roisin Carroll.
Dec
2023: Vol 68 (6)
Journal of the Irish Dental Association
|
2022/Jan

Smart Dental

Dr Svetlana Kilgannon (left) and Dr Tatiana Perju.

Smile Hub Dental Clinic

Back row (from left): Maria Gonzalez; Jo Jarenska; Bronagh Rodriguez; Simona Falago; Pat Pukal; Mark Fitzpatrick; Dr Alison McCullough; Maria Ross; Dr Grainne Gillespie; Dr Aisling Corley; Dr Ciara Halton; Mary Kostanyan; Laura Stevens; and, Yvonne Lyon.

Front row (from left): Brendan McCartan; Jennifer Lynch; Steph Torrina; Dr Laura Fee; Maria McLoughlin; Dian Dia; Lucy Purcell; and, Dr Ciaran Ryan.

COLGATE CARING DENTIST 302
Rathmines Dental Dr Brian McEniff. Peregrine Dental Clinic From left: Dr Anne Wall; Clara Quigley; Dr Eithne Coyne; and, Maria McAdam.
Journal of the Irish Dental Association | Dec 2022/Jan 2023: Vol 68 (6)

Cer琀ficate in Orofacial Pain

(12 months part­琀me, commencing Spring 2023)

This postgraduate cer琀ficate course in orofacial pain provides general dental prac琀琀oners and dental specialists with greater skills and knowledge in the areas of orofacial pain and temporomandibular disorders. Successful comple琀on of the course allows par琀cipants to con琀nue their studies online for a further two years to achieve a master’s degree in orofacial pain through the University of Southern California.

During the course, prac琀琀oners produce assessed work which is highly relevant to the clinical environment and which develops independent life long learning skills. The course is designed in three modules:

(1) Neuropathic Orofacial Pain; (2) Headache Disorders; and, (3) Temporomandibular Dysfunc琀on.

The course is taught by the TCD School of Dental Science using a virtual learning approach. Par琀cipants use the College Virtual Learning Environment, Blackboard Learn and Blackboard Collaborate. The Course Directors are Dr Dermot Canavan, Lecturer in Orofacial Pain, School of Den琀stry, Trinity College; Professor Glenn Clarke, Assistant Dean for Distance Educa琀on and Director of the Online Master of Science in Orofacial Pain Program, University of Southern California; Dr Philip Hardy, Lecturer, School of Den琀stry, Trinity College and Dr Neysan Chah, Specialist in Orofacial Pain.

More informa琀on on the course and applica琀on forms can be found at h琀ps://online.dentalhospital.ie

Please contact Dr Philip Hardy at philip.hardy@dental.tcd.ie for any further informa琀on.

COLGATE CARING DENTIST 303
Smile Savers Dental Dr Sonya Reilly. Smiles Dental
68 (6)
From left: Dr Eduardo Tapia Vida; Dr Meena Durai; Dr Bogdan Florea; Dr Livia Hoy Miranda; Dr Luis Suarez; and, Dr Salma Naz.
Journal of the Irish Dental Association | Dec 2022/Jan 2023: Vol

Spring Dental

COLGATE CARING DENTIST 304
St. Peter's Square Dental Surgery Simona Daniela Sanduleac.
Journal of the Irish Dental Association | Dec 2022/Jan 2023: Vol 68 (6)
From left: Sinead Gillespie; Dr Aneta Spring; Dr Mpho Kgosi; and, Michelle Lynch.

THE YEAR IN REVIEW 2022

A strong year for the IDA

Dear colleagues,

2022 has been a year where we have replaced many (although not all) of our concerns about Covid-19 with the challenges of a cost of living and energy crisis brought on in part by events in Ukraine. In addition to these challenges, dentistry has faced specific issues such as significant staff shortages, the crisis in the DTSS, and the threat that VAT would be imposed on the principalassociate relationship.

Through all of these issues, the IDA has worked tirelessly for members, adapting to the new realities we face as a profession, and representing and advocating for dentists all over Ireland. The Association has achieved a lot in these 12 months, from negotiating on behalf of public service members on salary and conditions, to successfully negotiating with Revenue and achieving a decision whereby VAT will not now be levied on principal dentists. We’ve also raised our profile in the media, and seen dental issues raised time and again in the Oireachtas.

2023 will be a very special year for the Association, as we celebrate 100 years of representing dentists in Ireland, and the year will no doubt bring new challenges to dentistry – not least changes in legislation relating to our profession, and the proposed implementation of Smile agus Sláinte, the national oral healthcare policy.

Joining the IDA gives you the chance to be part of the discussions that will shape the future of our profession, but it’s not just about advocacy. The IDA is

also the biggest and best source of CPD for dentists in Ireland, with courses and conferences throughout the year. Membership of the IDA is also a fantastic way to meet colleagues, and share the burden of what can be an isolated profession. I know, as a dentist who came here from New Zealand some years ago, that the IDA has been an invaluable source of information, education and friendship for me.

On top of all of this, there are significant financial benefits to being an IDA member. With discounts on indemnity, insurance, banking services, CPD, and more, you will save more than the cost of your subscription.

There are more reasons than ever to be an IDA member. Over the coming pages I hope that you will see the clear benefits of membership, and join us for our second century representing Irish dentists.

Save €3,000+ with IDA membership

Membership of the IDA gives you access to a range of exclusive money-saving deals, which can add up to over €3,000 in savings:

n professional indemnity: at least ¤700 discount with Dental Protection (11.5% reduction on your annual Dental Protection fee);

n up to 30% savings on medical oxygen from Irish Oxygen;

n discounts on credit card terminals and transactions from AIB Card Services; n up to 40% savings on broadband, landline and mobile services from Three; n up to 26% savings on defibrillators from Heart Safety Solutions; n fully responsive practice website from ¤1,500 plus VAT from Think Media;

n exclusive free access to the Journal of the American Dental Association; n exclusive access to HR and confidential advice on HR and employment law; n up to 50% reduction in insurance premiums with Doyle Mahon; n advice on income protection from Omega Financial Management; n 50% discount on classified adverts in the Journal of the Irish Dental Association and on www.dentist.ie; and, n up to 50% discount on IDA CPD and training programmes.

305
Journal of the Irish Dental Association | Dec 2022/Jan 2023: Vol 68 (6)
Volume 68 Number 6 December 2022/January 2023
Dr Caroline Robins IDA

THE YEAR IN REVIEW 2022

Political advocacy and public affairs mentions of dentistry in the Oireachtas:

807 421 43 9

Parliamentary questions Parliamentary debates mentions of dentistry by TDs mentions of dentistry by Senators

Case study: Discussions with Revenue Commissioners

Media metrics

Assisting members 800

queries dealt with by our HR and advisory services

The conclusion of discussions between the Association and the Revenue Commissioners in August represented the culmination of four years of engagement.

The suggestion that practice owners would be liable to pay VAT on payments received from associates could have meant a potential ¤250m tax bill for Irish dentists.

The IDA organised a campaign to inform politicians of the consequences of such a prospect, highlighting the disparity this would create on the island of Ireland and, most importantly, the catastrophic effect this would have on dentistry, which would ultimately worsen the current problems in accessing dental care. We engaged legal opinion and professional tax and accounting advice, at considerable cost, to present strong legal and technical arguments to Revenue.

In 2022, the IDA featured in over 600 pieces of media coverage, creating in excess of 65 million opportunities for the public to see and hear about the dental sector, and the issues and challenges facing the profession. The PR value of the coverage is worth in excess of ¤4.2 million to the profession.

The medical card scheme generated more than half of media coverage in 2022, followed by the public dental school screening programme.

Case study: Fighting for energy support for dentists

The announcement in Budget 2023 that the Government was going to introduce a new energy support scheme for businesses was warmly welcomed. It would mean a significant subsidy by the Government to help alleviate the sharp rise in energy costs as a result of the Ukraine invasion. Remarkably, the Government did not include dentistry among those businesses that could avail of this scheme. The Irish Dental Association led the charge on behalf of self-employed professions and, via a series of high-profile media interviews and political campaigning, we ensured that the Government was obliged to amend its plans and to ensure that dental practices could avail of this badly needed financial assistance.

We didn’t sit back and wait. We acted decisively and effectively. Dentists need a vigilant and determined champion for their interests. Make sure you belong to a strong organisation fighting for your interests.

In late August, Revenue confirmed to the Association that it was prepared to accept that facilities made available by principal dentists to associates in traditional arrangements are not supplies of services for VAT purposes and therefore no VAT liability should apply.

This campaign was a major triumph for the Association. This shows the importance of a strong and determined team of advocates for Irish dentistry and just why it is so important that we have a strong and well-resourced representative body looking after your interests. We are stronger together and we need your support. Make sure you are a member of the Irish Dental Association.

Why join the IDA?

Hourihan, RTÉ Radio, News at One, November 2022

306 Journal of the Irish Dental Association | October/November 2022: Vol 68 (5)
bit.ly/3FrhekG
Dec 2022/Jan 2023: Vol 68 (6)
Soundbite of the year
“Right now there are more Government Ministers in Greystones than there are dentists treating medical card patients.”

replies on dental matters from the Minister for Health questions on Smile agus Sláinte questions about the DTSS debates on dental matters

Members 115

new IDA members (January to October) 92% of members renewed in 2022

Over the course of 2022, the Association has represented public service members at a huge number of fora. We attended talks at the WRC on the review of the Building Momentum Agreement, resulting in a number of additional pay increases for our members. We were also involved in ensuring the reversal of the Haddington Road Agreement hours, and made a submission to the independent body tasked with examining additional working hours in the public service, arguing that the maximum working week for

our members should be 35 hours.

In 2022 we also lodged a claim for a review of sessional rates payable to HSE dentists who volunteer for additional sessional duties. More recently, we have submitted a claim for time off and funding for our members in line with those paid to medical consultants. Throughout 2022, the Association has also represented individual public service members on issues including grievances, sick leave, salary and pension disputes, bank holidays and leave.

394 37
8
86
Journal of the Irish Dental Association | Dec 2022/Jan 2023: Vol 68 (6) 307 THE YEAR IN REVIEW: 2022
‘ ‘
IDA CEO Fintan Hourihan representing the Association on RTÉ News.
“Congratulations on the successful conclusion of the VAT negotiations. It’s a massive success for IDA!” Dr
Robin Foyle
“Well done everyone in the IDA team. Shows again the value of group representation and negotiation.”
Dr Bobby Gorby
“Well done on the VAT result …. Major achievement …lot of colleagues were resigned to bad news ….. congrats.”
Dr John Nolan
“Just a short note to congratulate you and your team of negotiators in bringing this matter to conclusion. Well done.”
enormous thank you
you and all who represented IDA
the VAT issue. Your
superb
Dr Brian O’Loughlin
“An
to
in
result on our behalf is beyond words. This is another
example of the benefit of being part of a brilliant Association.”
Member feedback on conclusion of VAT discussions: 7,000 followers 5,648 followers 2,193 followers Case study: Public service dentists Top tweet
Dr Edward Cotter

Case study: staffing crisis

During 2022, and based on our members’ priorities, we brought our message about the growing challenges of recruitment and resourcing of the dental sector to the forefront of our advocacy and public relations work.

We launched a new public affairs and PR campaign, ‘Bridging the Gap’, which is patient centred, data driven and solution oriented, and we highlighted the issue in our media work.

In our Pre-Budget Submission, we made a number of recommendations to address the staffing crisis and called for the Government to urgently engage with the Association in order to introduce a workforce plan for the sector. As we look ahead to 2023, recruitment and resourcing will become the lead message for our public affairs and advocacy, and early in the New Year we will launch our own National Workforce Plan.

308 Journal of the Irish Dental Association | October/November 2022: Vol 68 (5) Member communications >140 updates and flyers sent to members 6 editions of the Journal of the Irish Dental Association >150,000 visits to www.JIDA.ie
HR/employment law (one-third of queries) Requests for contracts (one-fifth of queries) Promoting dental care >1,500 nominations for the Colgate Caring Dentist Awards CPD and education 15
1,768
1,376
at in-person courses IDA website 15,000 85,000 335,000 visits to Members’ Section of IDA website visits to website classified section Website views
Top queries
webinars
attendees on webinars
attendees
Want to become an IDA member?
here bit.ly/3Uy8Wft or contact Cindy at
3068. The IDA ran six hands-on courses in 2022.
Click
01-525
Dec 2022/Jan 2023: Vol 68 (6) 6 hands-on courses 98 attendees 9 BLS and ILS courses 87 attendees
IDA President Dr Caroline Robins interviewed at Annual Conference 2022.
THE YEAR IN REVIEW 2022

Victoria House Dental

From left: Robert Mangan; Dr Ruth Scanlon; Leanne Power; and, Daire Scully.

COLGATE CARING DENTIST

Tom Houlihan Orthodontics

Back row (from left): Sandra Marshall; Florina Boldijar; Alina Bizgan; Mercy Ekpenyong; Aileen Carroll; Johanne O’Donohue; Mary Yu; and, Nicole Mercado. Front row (from left): Dr Catherine Houlihan; Dr Tom Houlihan; Dina Lazarenco; and, Alice Mesaros.

Woodstown Dental Centre

From left: Dr Luciana Bialta Contato; Daniela Ballon Silva; Sophie Rudden; Dr Sarah Enright; Suzanne O’Brien; Dr Aine O’Herlihy; and, Claire Farrell.

Journal of the Irish Dental Association | Dec 2022/Jan 2023: Vol 68 (6)

309

Caring dentist award nominees

The Colgate Caring Dentist Awards are the only awards where patients nominate their dentist for outstanding care. Here are this year’s nominees and winners.

COLGATE CARING DENTIST 310
Dr Omar Abu Rabia Dr Mustafa Al Mohsen Dr Ashraf Amin Dr Carmen Anastasiu Dr Ignacio Barbón 3Dental Dame Street Dental Alexandra Dental Claremorris 3Dental 3Dental Dr Anna Beattie Dr Natalia Berlinschi Dr Inesa Breidaka Dr Caroline Byrne Dr Maria Byrne 3Dental 3Dental LUXDENT Kinnegad Dental Cork Dental Smiles
| Dec
2023: Vol 68 (6)
Journal of the Irish Dental Association
2022/Jan
COLGATE CARING DENTIST 311
Dr Katarzyna Dobrylko Dr Peter Doherty Dr Meena Durai Dr Sarah Enright Dr Laura Fee LUX DENT 3Dental Smiles Dental Blanchardstown Woodstown Dental Centre Smile Hub Dental Clinic Dr Luciana Contato Dr Eithne Coyne Dr Susan Crean Dr Shauna Daly Dr Roxana Irina Dobos Dental Care Ireland Peregrine Dental Clinic Susan Crean Dental & Facial Aesthetics Fee Dental St Peter’s Square Dental Surgery Dr Bernadette Fee Dr Bogdan Florea Dr Rachel Goggins Dr Naoishe Gorham Dr Miriam Grady Fee Dental Smiles Dental Bath Avenue Dental Care Ireland Westport Dublin Street Dental Clinic Grady Family Dental Dr Tomas Henriksen Dr Tom Houlihan Dr Livia Hoy Miranda Dr Ruxandra Jimenez Charlestown Medical & Dental Centre Tom Houlihan Orthodontics Smiles Dental Waterloo Road
Journal
| Dec 2022/Jan 2023: Vol 68 (6)
Smiles Dental Blanchardstown
of the Irish Dental Association
COLGATE CARING DENTIST 312
Dr Fionnuala Lyons Dr Clodagh McAllister Dr Alison McCullagh Dr Brian McEniff Dr Garrett McGann McEvoy Dental Fairview Dental Clinic Smile Hub Dental Clinic Rathmines Dental Annesley Dental Clinic Dr Svetlana Kilgannon Dr Simona Kostova Dr Beatriz Lara Dr Josephine Leahy Dr Dervla Leavy Smart Dental 3Dental Dame Street Dental Friary Court Dental & Facial Clinic Dervla Leavy Dental Care Dr David McMahon Dr Mairin Minahan Dr Sandra Montano Dr Salma Naz Dr Niall Neeson 3Dental Dental Care Ireland 3Dental Smiles Dental Blanchardstown Boyne Dental Navan Dr Mary Ngeh Dr Deirdre Ní Dhonnchadha Dr Rita O'Dowd Dr Ioana Pavelean Dunboyne Orthodontics An Fiaclóir Deirdre Dental Clinic No. 8 Clinic Cornmarket
Journal of the Irish Dental Association | Dec 2022/Jan 2023: Vol 68 (6)
St. Peter's Square Dental Surgery Dr Will Rymer Dr Ruth Scanlon Dr Aneta Spring Dr Dawid Stenka Dr Maria Stenka Expressions Dental and Cosmetic Clinic Victoria House Dental Spring Dental LUX DENT LUX DENT Dr Nicolette Ravenscroft Dr Sonya Reilly Dr Joaquin Rinon Dr Ciaran Ryan Dr Sarah Rymer Devereux Dental and Orthodontics Smile Savers Dental 3Dental Smile Hub Dental Clinic Expressions Dental and Cosmetic Clinic Dr Luis Suarez Dr Eduardo Tapia Vidal Dr Paula Taracido Dr Marcela Torres Leavy Dr Alba Urdaneta Smiles Dental Bath Avenue Smiles Dental Bath Avenue 3Dental Kinnegad Dental 3Dental Dr Niall Vallely Dr Anne Wall Dr Hannah Willsher Dr Chiung Ying Chang Dr Ksenija Zaporozceva
COLGATE CARING DENTIST 314 Journal of the Irish Dental Association | Dec 2022/Jan 2023: Vol 68 (6)
3Dental Peregrine Dental Clinic Moloney Dental Practice Carlow Dental Centre Dame Street Dental

Caring Dentist Awards 2022

COLGATE CARING DENTIST AND DENTAL TEAM OF THE YEAR AWARDS 2022

The judges were as ever delighted to receive so many entries to these awards. After much deliberation, the judges chose very worthy winners.

The Colgate Caring Dentist of the Year 2022 is Dr Clodagh McAllister and the Colgate Caring Dental Team of the Year 2022 is Susan Crean Dental & Facial Aesthetics.

Congratulations to Clodagh, to all of the team at Susan Crean Dental, to the regional winners, and to all the dentists and dental teams that were nominated for an award by their patients.

Keep Ireland Smiling

New perspectives on record keeping

Clinical records have a certain value and status within professional practice. As clinicians, we rely on records to remind us about what we’ve done and what we’re planning to do for the patient. Colleagues who treat the patient in our absence rely on the same records, as do lawyers and others who investigate complaints and claims against dentists. Often, a clinical record is the only documentary evidence of what happened.

However comprehensive the entries on the record, the question arises whether the record can ever be complete. Some aspects of care are rarely or never recorded, and these omissions can have a material bearing on the patient’s decisions, their understanding of risk, choice of treatments, and, of course, the consent process.

Verification and veracity

Verification is the confirmation of the information on the record card, and veracity is the truthfulness. There have been cases where dentists have admitted that they have deliberately made false entries on the records. The motivation behind the deception is often to cover up a mistake, omission, or complication. We know that courts tend to place enormous weight upon the evidence in the clinical records, but the reality is that the clinical record is often one person’s retrospective account of events. There is no real-time recording of information. Many of the principles that are applied in healthcare settings are derived from the aviation industry, and it is interesting to compare how records are maintained in aviation. In their paper, Dungarwalla and Bailey write about checklists and point out that: “Checklists are recorded in real time onto the cockpit voice recorder. The danger within the medical and dental profession is the retrospective completion of checklists following completion of a procedure, which has the potential to demote it as another meaningless piece of paperwork”.1

We, therefore, cannot be sure that what we are reading is accurate. It is, ultimately, a reflective piece written by one individual about an event that occurred very recently, or occasionally many hours later. The question that arises is: should patients be able to observe the entries and verify the clinical records as an accurate record? There is currently no requirement to verify and until there is, we must continue to rely on the clinician’s ethical obligation. Technology offers some interesting solutions and it is my view that use of this technology will become mandatory in the not-too-distant future.

Non-verbal communication

Effective communication is at the heart of patient-centred care. Studies show that the clinician’s ability to explain, discuss, listen and empathise affects health outcomes and impacts on patient satisfaction.

The clinical record often focuses on what was said to the patient – and it is the sender of the message who records the event. But we know that the communication process involves not only the sender but the recipient. What the clinical record rarely indicates is the way information is delivered, including the structure and non-verbal elements such as body language, eye contact and tone – all of which convey information. Head gestures, such as nodding or shaking of the head, can reinforce verbal communications, and an eye gaze can redirect attention from one image to another or from a document to a screen. (Magicians often use this to divert attention – a process known as misdirection.) In contrast, avoiding eye contact sends a different message altogether. In summary, nonverbal communication can:

1. Complement.

2. Reinforce.

3. Substitute.

4. Contradict verbal communication.

5. Regulate the flow of conversation.

Prof. Albert Mehrabian is a leading researcher in the field of non-verbal communication and offers advice when verbal and non-verbal messages are contraindicatory or inconsistent. He writes in his book Nonverbal Communication that: “When there are inconsistencies between attitudes communicated verbally and posturally, the postural component should dominate in determining the total attitude that is inferred”.

The record card offers no insight into this area of communication. Patients may decide between options or give consent by watching and interpreting the dentist’s facial expressions or gestures. It is a subject that is often overlooked and does not often feature in communications research. The patient will also exhibit non-verbal behaviours, which the dentist will interpret and draw inferences from, and again these are rarely recorded or noted.

Framing

Framing is a type of cognitive bias that is well documented in medical literature. It is defined as presenting equivalent information in different ways where the different semantic descriptions of the same information influenced its interpretation. Consider an everyday example: when you go shopping and yoghurt is described as either 80% fat free or 20% fat, we know people favour the fat-free description.

A clinical example is an intervention where the risk of failure is three in ten cases. This is negative framing, whereas stating that seven out of ten treatments are

316
Dr Raj Rattan
Dental Director at Dental Protection
PRACTICE MANAGEMENT Journal of the Irish Dental Association | Dec 2022/Jan 2023: Vol 68 (6)
“If it is not recorded, it did not happen” is a phrase widely used by regulators and lawyers in cases. The clinical record comes under scrutiny, but is the narrative complete and what does the clinical record not show?

successful is positive framing. Consider the scenario shown in Table 1, based on an actual event involving two dentists in the same practice. In this case, the patient presents with irreversible pulpitis. With Dentist A, the patient opts for an extraction (option A), rather than root canal treatment (RCT) (Option B) and waits in the waiting room to have the tooth extracted. The patient’s usual dentist (Dentist B) becomes aware that his patient is in attendance and booked in with a colleague for an emergency appointment. He offers to see the patient to remove the tooth. Before undertaking the extraction, Dentist B discusses the options but frames the risk of failure differently. While Dentist A had explained that one in ten cases fail, Dentist B says nine out of ten cases are successful. The patient reconsiders the position and opts for option B.

The clinical record written by both clinicians is almost identical, but there is no reference to framing. (The framing scenario only came to light because the patient commented that he felt Dentist A was being overly pessimistic and questioned the dentist’s motivation, suggesting the dentist was trying to “sell me an implant”.)

Loss aversion makes a patient less likely to choose something when it is presented in terms of harm rather than benefit. It can be argued that framing is potentially manipulative when it comes to making choices.

Table 1: Framing endodontic risks.

EXAMPLE

Option A

n c/o ++ pain UR Q

n Kept awake three days

n Caries UR6 – irreversible pulpitis

n Discuss options RCT vs XLA

n Discuss prognosis

n Patient opts to have extraction

n UR6 extracted

The principle of nudge

Option B

n c/o ++ pain UR Q

n Kept awake three days

n Caries UR6 – irreversible pulpitis

n Discuss options RCT vs XLA

n Discuss prognosis

n Patient opts to have RCT n UR6 pulp extirpated

Richard Thaler and Cass Sunstein define a nudge as “any aspect of the choice architecture that alters people's behaviour in a predictable way without forbidding any options or significantly changing their economic incentives”.2

When we take nudge and framing together, we must consider consent. Dentists will usually have an opinion about what is in the patient’s best interests and thus may frame information in a way that nudges patients into making choices that are considered likely to maximise their welfare.3 However, while we can use the principle of nudge to encourage patients to make the right choices, it can also be used to maximise self-interest (as was alleged in the endodontic example cited). It has been argued that nudging is inconsistent with autonomy and the principle of informed consent.

Case example: the omission of truth

Dental Protection handled a case some years ago where a patient had a lower third molar extracted and she was left with a numb lip. When she failed to get a response or explanation from the dental practice, she contacted a solicitor for advice. Copies of the clinical records were requested from the practice. On examination of the clinical record, it was clear that the patient’s recollection of events was completely different from what was written on the clinical record. It turns out that the patient could prove that one of the dentist’s claims was falsified: the patient had retained her tooth and a forensic analysis confirmed that it was her tooth. It had been extracted as a whole, contrary to the dentist’s notes, which stated that the tooth was “extracted in bits”. The dentist was removed from the register, not because of the injury, but because the records had been falsified. Ultimately, the spoken word might easily be forgotten, but written documents can always be relied on for conclusive proof. There is an old Latin proverb: ‘Verba volant, scripta manent’; which translated means ‘Spoken words fly away, written words remain’. It is true of the clinical record. Less true is the proverb ‘Dictum factum’ – ‘What is said is done’. And what is not said is perhaps more relevant.

This article is based on the lecture ‘The ethics of omission’ given by Dr Raj Rattan at the Ethics for All conference in South Africa in October 2022.

References

1. Dungarwalla, M., Bailey, E. Dentistry and aviation engineering – behind the scenes at operations in a UK-based airline. Br Den J 2021; 230: 835-840.

2. Thaler, R.H., Sunstein, C.R. Nudge: Improving Decisions about Health, Wealth, and Happiness. New Haven: Yale University Press, 2008.

3. Aggarwal, A., Davies, J., Sullivan, R. “Nudge” in clinical consultation – an acceptable form of medical paternalism? BMC Med Ethics 2014; 15: 31.

Quiz

Submitted by Dr Maura Cuffe.

Six-year-old Chloe attends with her mother Sinéad for a check-up. Chloe has additional needs and Sinead mentions that Chloe is PEG fed.

1. What is a PEG?

2. What issues should you consider?

3. Sinéad helps Chloe with toothbrushing. Chloe clamps on the brush most of the time. Any suggestions for Sinead?

4. Going forward, what are your priorities for Chloe?

317 PRACTICE MANAGEMENT
Answers
on page 331.
Journal of the
Association | Dec
2023: Vol 68 (6)
Irish Dental
2022/Jan

Visual examination for caries detection

Visual examination for caries using the merged-ICDAS system can be an important aid to minimally invasive dentistry.

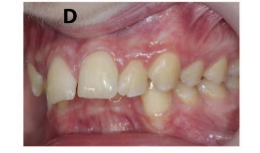
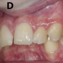
Introduction

Dental caries is a multifactorial, non-communicable disease, which results in mineral loss and subsequent caries lesion formation.1 A clinically detectable lesion (white spot lesion) is a result of numerous pH fluctuations in the dental biofilm caused by cariogenic bacteria when exposed to frequent sugar consumption. This lesion may or may not progress into a cavitation depending on the control of the aetiological factors of the disease, such as biofilm and diet control. Lesion progression can be controlled, slowed down or arrested when in the early stages by simple maintenance of good oral hygiene and restriction of sugar consumption.2,3 Therefore, given the behavioural nature of this condition, the main treatment for caries as a disease should be a responsibility of the patient (and not exclusively of the dentist). Carious lesion activity, presence of cavitation and cleansability will determine the intervention threshold needed (e.g., non-invasive treatment, micro-invasive restorative treatment, endodontic treatment, etc).3 Therefore, the dental professional should be able to diagnose caries by assessing patients’ caries risk, detecting and staging carious lesions as the clinical manifestation of the disease, and stabilising their activity status in order to provide an appropriate management plan. Visual examination is the main method used by dentists for caries detection and this method has shown good overall performance. The International Caries Detection and Assessment System (ICDAS) is one of the most used systems worldwide, with a substantial level of reproducibility and accuracy for assessing primary coronal caries. This system has recently been simplified and used as part of the International Caries Classification and Management system (ICCMS) and CariesCare International practice guide as merged-ICDAS.4

This article will summarise the use of visual examination for caries detection using merged-ICDAS stages.

Step-by-step guide to clinical carious lesion diagnosis

1. Prepare the tooth

Ensure that the tooth is plaque free and dry, and use good lighting to determine the severity of the lesion.

Dip PCD RCSI

General dental practitioner, Dublin

Assistant Professor Department of Cariology, Operative Dentistry and Dental Public Health

Indiana University School of Dentistry, USA

FIGURE 1: Sound tooth surface (0). FIGURE 2: Initial carious lesion – carious lesion into enamel without any cavitation (A).

FIGURE 3: Moderate carious lesion – microcavitation into enamel (B3).

FIGURE 4: Moderate carious lesion – underlying dentine shadow due to caries with no visible cavitation into dentine (B4).

FIGURE 5: Extensive carious lesion – obvious visible dentine cavitation (C).

Dr Isabel C. Olegário DDS MSc PhD

Assistant Professor in Paediatric Dentistry

Trinity College Dublin

Corresponding author: Corresponding author: Dr Varsha Lal E: lalv@tcd.ie

318 CLINICAL TIPS
Dr Varsha Lal BA BDentSc Dr Juan Sebastian Lara DDS MSc PhD
Journal of the Irish Dental Association | Dec 2022/Jan 2023: Vol 68 (6)

Table 1: Merged-ICDAS visual coronal caries stages.4

Merged-ICDAS score Code Description

Sound (ICDAS 0) 0

Initial caries lesions (ICDAS 1-2) A

No evidence of change in enamel translucency due to caries after plaque removal and air drying

Changes in enamel seen as a caries opacity or visible discolouration (white/brown spot) not consistent with clinical appearance of sound enamel, with no evidence of surface breakdown, no underlying dentine shadowing and no cavitation

Moderate caries lesions (ICDAS 3-4) B3

White/brown spot lesion with localised microcavity/discontinuity, without visible dentine exposure. Best seen after air drying B4 Obviously discoloured dentine visible through apparently intact or microcavitated enamel surface, which originated on the surface being evaluated. Often seen easiest with the tooth surface wet

Extensive caries lesions (ICDAS 5-6) C Obvious visible dentine cavity in opaque/discoloured enamel. A WHO/CPI/PSR probe can gently confirm if the cavity extends into dentine

2. Assess the staging of the coronal carious lesion

The staging of the carious lesion is based on the surface characteristics of the lesion seen clinically, which is linked to its histological depth. The merged-ICDAS scores can be used to record the severity of the lesion (Table 1). Figures 1 5 illustrate carious lesion severity stages and histological presentation (0-A-B3-B4-C).

3. Assess the activity

Assess the carious lesion activity by gentle blunt probing and by visually examining the site (i.e., plaque stagnation areas). Active carious lesions restricted to enamel (scores A-B3) usually have an opaque presentation with loss of lustre, and feel rough when probing. Inactive lesions feel smooth when probing and the enamel is usually shiny. It is important to note that colour does not define activity. For dentine carious lesions, if the lesion feels soft or leathery on probing, it is considered active, regardless of its colour. If the cavitation into dentine (C) feels hard and is shiny, the lesion is considered inactive. Inactive carious lesions do not require any operative intervention unless there are aesthetic or functional concerns.3

4. Record taking

Make an accurate record of the tooth, surface, stage and activity of the carious lesion. For example, if a first permanent molar has an occlusal microcavitation into enamel, this can be recorded as B3. If in a follow-up appointment the dentist notes a cavitation into dentine, this can be recorded as C. This system allows

identification of carious lesion progression and might dictate which treatment is needed for each stage of the lesion.

Conclusion

Minimally invasive dentistry (MID) starts with the accurate clinical diagnosis of carious lesions. This enables the practitioner to intervene in the caries process when required and not unnecessarily condemn a tooth to the chronic restorative cycle. The use of the merged-ICDAS system is part of the CariesCare International guide, which consists of a 4D caries management system that is being adapted internationally as part of the MID delivery framework.4

References

1. Machiulskiene, V., et al. Terminology of Dental Caries and Dental Caries Management: Consensus Report of a Workshop Organized by ORCA and Cariology Research Group of IADR. Caries Res 2020; 54 (1): 7-14.

2. Kidd, E.A.M., Fejerskov, O. What constitutes dental caries? Histopathology of carious enamel and dentin related to the action of cariogenic biofilms. J Dent Res 2004; 83 (Spec. No. C): C35-38.

3. Schwendicke, F., et al. When to intervene in the caries process? An expert Delphi consensus statement. Clin Oral Investig 2019; 23 (10): 3691-3703.

4. Martignon, S., et al. CariesCare practice guide: consensus on evidence into practice. Br Dent J 2019; 227 (5): 353-362.

319 CLINICAL TIPS
Journal of the
Dental Association | Dec 2022/Jan 2023: Vol 68 (6)
Irish

Dens invaginatus and the paediatric dental patient: two case reports

Dens invaginatus in paediatric dental patients presents both patient management and technical challenges for the general dental practitioner. Awareness of clinical features and preventive strategies is essential.

Clinical relevance statement

With a prevalence of up to 10% in the permanent dentition, practitioners are likely to encounter dens invaginatus in the paediatric population. Timely identification and intervention if required, or referral for treatment, may yield better clinical outcomes for these patients.

Abstract

Background: Dens invaginatus (DI) in paediatric patients presents a challenge in treatment planning, patient management and potentially complex endodontic treatment. DI has been reported to be as prevalent as 0.3-10% in permanent teeth. Clinicians may be challenged in managing both the patient and the dental anomaly.

Aims: The aim of these case reports is to highlight the presenting features of DI, treatment strategies, and to highlight the need for a national clinical care pathway for children affected by dental anomalies such as DI, in addition to complex traumatic dental injuries and developmental defects of enamel and dentine.

Conclusions: Awareness of the clinical features of, and early identification of teeth affected by DI can allow for prevention, minimally invasive management and, where necessary, appropriate referral for specialist management of these cases. Sealing the palatal surfaces of young permanent incisors can limit the sequelae of pulpal necrosis in teeth with DI. Teeth with DI and complex anatomical presentation are predisposed to pulpal pathology and restorative management can be extremely challenging. There are currently limited referral options for general dental practitioners who identify cases of DI in primary care settings in Ireland. This may lead to delayed treatment, prolonged symptoms, and suboptimal outcomes for patients. A national clinical care pathway is recommended.

Journal of the Irish Dental Association December 2022/January 2023; 68 (6): 320-325.

Introduction

Dens invaginatus (DI), also known as ‘dens in dente’, is a developmental dental anomaly resulting from the invagination of the enamel organ in the dental papilla before the dental tissues are calcified. DI is reported to affect 0.3-10% of permanent teeth, with estimated prevalence among patients ranging from 0.25-26.1%.1 The permanent maxillary lateral incisors are the

Dr Shane O'Dowling Keane

BDS NUIreland

Senior House Officer

Restorative Dentistry

Cork University Dental School and Hospital

most commonly affected teeth. However, DI has been reported in the permanent maxillary central incisor, canine and premolar, in mandibular teeth, and in the primary dentition.

The aetiology of DI is unclear, although theories include genetic factors, trauma, infection, and external growth pressure.1,2 The genetic basis of DI is supported by the findings of familial tendency, bilateral presentation, and

Dr Siobhán Lucey

Consultant/Senior Lecturer

Paediatric Dentistry

Cork University Dental School and Hospital

Dr Graham Quilligan

Consultant/Senior Lecturer

Restorative Dentistry (Endodontics)

Cork University Dental School and Hospital

Corresponding author: Dr Shane O'Dowling Keane, Cork University Dental School and Hospital E: s.odowlingkeane@ucc.ie

Journal of the Irish Dental Association | Dec 2022/Jan 2023: Vol 68 (6)

PEER-REVIEWED 320

Table 1: Oehler's classification of dens invaginatus.

Oehler’s Description classification

Class I

Partial invagination that does not extend beyond the cemento-enamel junction (CEJ) or involve the pulp.

Class II Partial invagination extending beyond the CEJ, which may or may not involve the pulp but remains within the root anatomy. There is no communication with the periodontal ligament (PDL).

Class IIIa Complete invagination extending beyond the CEJ and communicating with the PDL through a second foramen on the lateral surface of the root. Usually, no direct involvement of the pulp but significant anatomical variation.

Class IIIb Complete invagination extending beyond the CEJ and communicating with the PDL at the apical foramen. Usually, no direct communication with the pulp but significant anatomical variation.

FIGURE 1: Teeth with dens invaginatus may present as asymptomatic, with little external deformity, but may become apparent on radiographs as incidental findings.

association with other dental anomalies such as gemination, microdontia, hypodontia, taurodontism, dentinogenesis imperfecta and mesiodens.1,2

The infolding of the enamel organ creates a pocket of organic material and may result in plaque-retentive features in tooth morphology.1 Communication between the oral cavity and the invagination can lead to the development of carious lesions and facilitate rapid progression to pulpal necrosis.

Early identification and management of teeth with DI can reduce the risk of pulpal necrosis. Unfortunately, DI is regularly identified only after symptoms of pulpitis develop. Pulpal necrosis in an immature tooth may disrupt root formation. The anomalous tooth morphology, associated complex root canal anatomy, and potential immaturity of the tooth in a young child can complicate endodontic management of affected teeth.

Presentation and diagnosis

Teeth with DI may present as asymptomatic teeth with little external deformity. They may become apparent on radiographs as incidental findings (Figure 1). Teeth with more significant structural defects may be more easily identified. Clinical features include increased width mesiodistally or buccolingually, talon cusps, pronounced palatal cingulum, deep grooving, incisal notching, or conical shape.1 There is some evidence for bilateral presentation of DI.1,2 If DI is suspected, thorough investigation of the contralateral tooth should take place. Unfortunately, patients often present after the onset of symptoms such as pain and swelling, usually in the absence

FIGURE 2: Oehler’s classification for dens invaginatus.

of an obvious carious lesion or a history of trauma. As DI can predispose teeth to pulpal pathology, thorough assessment is required to inform the diagnosis. Clinical examination should include visual assessment of tooth morphology and colour. Percussion testing, grading of mobility and checking for sulcular tenderness are recommended. Sensibility testing (including cold and electric stimuli) is also indicated. If DI is suspected, radiographic examination of the tooth is indicated. Assessment of the roots of developing teeth can be challenging; therefore, comparison with contralateral teeth is useful to differentiate apical pathology from immature root formation.

The radiographic features of DI are variable. However, DI lesions often present as areas of radiolucency underneath the cingulum or incisal edge of affected teeth, usually surrounded by a radio-opaque enamel margin.2,3 Periapical radiographs have been described as the imaging modality of choice, although two images at different horizontal angulations may be required to ensure visualisation of the lesion.2,4 The use of cone-beam computed tomography (CBCT) may be indicated to diagnose and plan complex endodontic treatment, particularly if surgical management is required.5,6 However, the use of increased radiation should be carefully considered in the paediatric patient.

Classification system

The most commonly used classification system for DI is Oehler’s classification.3 This classification divides affected teeth into three categories based on their radiographic appearance (Table 1; Figure 2).

PEER-REVIEWED 321
Journal of the Irish Dental Association | Dec 2022/Jan 2023: Vol 68 (6)

Table 2: Treatment options for management of dens invaginatus.

Treatment Indications option

Prophylactic sealing of invaginations

Caries removal and debridement of invaginations with ultrasonic instruments

Vital pulpotomy

n Clinically and radiographically disease-free teeth affected by minor invagination

n Severe invaginations with no evidence of pulpal, clinical or radiographic disease, where operative intervention may lead to frank exposure

n Teeth with moderate to severe invaginations with evidence of caries in the invagination

n No communication between invagination and the pulp

n Absence of pulpal pathology

n Vital teeth with mild, moderate or severe invagination and carious or traumatic exposure of the pulp

n Absence of periapical pathology clinically or radiographically

Orthograde root canal treatment

Apexification/pulp revascularisation

n Non-vital teeth with mild, moderate or severe invagination

n Pulp and/or invagination anatomy amenable to orthograde endodontic treatment

n Non-vital permanent teeth with mild, moderate or severe invagination

n Pulp and/or invagination anatomy amenable to orthograde endodontic treatment

n Immature root formation

Surgical endodontic treatment Extraction

n Re-treatment of teeth affected by DI with previous unsuccessful endodontic treatment

n Non-vital DI-affected teeth with complex pulp and/or invagination anatomy that contraindicates conventional orthograde endodontic treatment

n Teeth of poor prognosis

n Teeth severely affected by DI with complex anatomy unamenable to restorative treatment

experienced paediatric dental team. However, a multidisciplinary team may be required in more complex cases.

Management

DI encapsulates a wide range of anatomical variations and, as such, there is a vast array of treatment options available. The management options for teeth with DI are detailed in Table 2 2,4,6 At all times, treatment planning must take account of the developing dentition in a growing child. Teeth with DI and complex internal anatomy can be extremely technically challenging to manage. This can be further complicated by immaturity of the affected tooth, particularly if non vital, resulting in an open or ‘blunderbuss’ apex.2,4,6 These teeth may require complex endodontic management including apexification or pulp revitalisation, depending on the pulpal status and stage of root development.7,8

Behaviour management can also be difficult due to the young age of affected patients. A child’s co-operative ability must be taken into consideration when selecting the most appropriate treatment option. Assessment and treatment may be co-ordinated and provided by the

Journal

The first-line approach for all options will be to consider treatment in the dental surgery, under local anaesthesia as required, and aided by nonpharmacological behaviour management techniques, aiming to retain the tooth where possible. Considering the very complex internal anatomy of some teeth with DI, and the patient’s age and co-operative ability, there may be a reasonable justification for endodontic treatment under general anaesthesia, if available, particularly where the tooth is deemed to have a good prognosis following treatment. Some clinicians may consider a ‘surgical-first’ approach where extremely complex anatomy contraindicates an orthograde approach.9,10 The tooth is accessed surgically, the apical 3mm of root resected (similarly to apicectomy), the complex anatomy is disinfected with retrograde chemomechanical preparation, and the canal is obturated via a retrograde approach. This has the advantage of keeping the crown intact and reducing the need for lifelong maintenance of a coronal restoration. Any invagination should also be sealed coronally in this instance.

Teeth with DI should be carefully followed up at an appropriate and individually tailored, risk-based recall interval.11 Review should include assessment of colour, mobility, sulcular tenderness, percussion testing and pulpal sensibility. A peri-apical radiograph may be indicated if concerns emerge following the clinical assessment. Teeth with DI that have had endodontic treatment should be reviewed radiographically after one year, in line with European Society of Endodontology (ESE) guidelines.12

Case reports

Case 1

Patient A, a healthy 10-year-old boy, was referred to the paediatric dental team at Cork University Dental School and Hospital (CUDSH) by his general

PEER-REVIEWED 322
FIGURE 3: Case 1: Dens invaginatus Class II with an immature, open apex, a potential lateral canal and periapical periodontitis.
Vol 68 (6)
of the Irish Dental Association | Dec 2022/Jan 2023:

dental practitioner (GDP) with pain and swelling associated with the permanent maxillary left lateral incisor (tooth 22). The GDP had diagnosed “tooth 22 with DI”, and prescribed a course of antibiotics to manage the patient’s acute symptoms. When he presented for a consultation, the pain and swelling associated with this tooth had subsided. The patient also had a history of a mesiodens, which had been removed three years previously. Clinical examination revealed a buccal draining sinus associated with tooth 22, which had a deep palatal pit, a talon cusp and incisal notching. Sensibility testing indicated that the tooth was non vital. A periapical radiograph revealed a radiolucent area underneath the cingulum, surrounded by a radio-opaque margin extending beyond the cementoenamel junction (Figure 3). The apex of tooth 22 had not fully formed, and a periapical radiolucency was noted. A further radiolucency was identified on the distal aspect of the mid-third of the root of tooth 22, indicative of a potential lateral canal. The tooth had a deep palatal groove. DI Class II with an immature, open apex, a potential lateral canal and periapical periodontitis was diagnosed (Figure 3a). CBCT was not indicated as the anomaly was clearly imaged on plain film radiography.

Initial management

Initial management of the patient involved oral hygiene instruction, dietary advice and fissure sealants of the first permanent molars, the maxillary central and the right lateral incisors.

Endodontic management

Following assessment by a paediatric dentist and an endodontist, it was determined that the tooth would be managed in the first instance via orthograde root canal treatment. Conventional endodontic treatment with apexification was selected due to the increased evidence for long-term predictability of outcome compared to revitalisation techniques, and the clinical experience of the clinicians.9,10

The tooth was isolated with rubber dam and an access cavity prepared using long diamond and tungsten carbide burs in a fast handpiece. The access cavity was widened to incorporate the entire invagination using a combination of ultrasonic tips (Start-X; Dentsply Sirona), goose-neck burs in a slow handpiece, and an orifice-opening rotary file (Protaper Next Xa; Dentsply Sirona). This was undertaken using the dental operating microscope.

The tooth was gently irrigated without pressure with 1% sodium hypochlorite (NaOCl) using a side-venting needle measured at least 2mm short of the full working length. The tooth was dressed with non-setting calcium hydroxide as an interappointment medicament between visits, while the tooth was monitored for resolution of symptoms and healing of the draining sinus.

The clinicians progressed to obturation when the draining sinus had healed, two weeks after the first stage of endodontic treatment. Bioceramic putty and sealer (TotalFill BC; RRM, and TotalFill BC Sealer; Scottlander) were used to create an apical plug. It was noted that the putty did not fully extend to the apical third, but patient co-operation was not sufficient to repeat the procedure. The access cavity was initially sealed with high-viscosity glass ionomer cement (Fuji II LC; GC) due to time constraints and patient cooperation.

Figure 3c shows the periapical bony healing six months post obturation. The apex of tooth 22 also shows signs of successful apexification following

FIGURE 4: Case 2: Dens invaginatus Class II with an immature, open apex.

endodontic treatment. The patient has been asymptomatic since obturation. Eight appointments over 15 months were required to complete the full course of treatment. Treatment duration was extended to ensure that informed consent was obtained from the parents and legal guardians of the patient, and due to the outbreak of the Covid-19 pandemic. In line with ESE guidelines, the follow-up of such teeth will involve annual radiographic review, until normal periapical architecture returns.12

Case 2

Patient B, a healthy eight-year-old girl, presented to the paediatric dental department of CUDSH complaining of a newly erupted and “pointy” tooth 22. The appearance of tooth 22 was “bothering her on and off”. She had previously attended the paediatric dental department for routine dental visits and fissure sealants of the first permanent molars. The patient was dentally anxious.

Clinical examination revealed a partially erupted, unaesthetic and conically shaped upper left lateral incisor. Findings regarding colour, mobility, percussion and sensibility testing were unremarkable. Radiographic examination (Figure 4a) revealed DI Class II with an immature, open apex. Tooth 23 was also congenitally absent.

Initial management

The patient and her mother were informed of the diagnosis, oral hygiene instruction was delivered, and the patient was booked for review following further eruption of tooth 22. At the subsequent review appointment, six months after initial presentation, tooth 22 was asymptomatic but had erupted into edge-to-edge occlusion. No caries was evident clinically or radiographically; therefore, a resin-based fissure sealant was placed on the palatal pit and a recall appointment was scheduled. Unfortunately, one month later the patient presented with severe pain from tooth 22. Clinical and radiographic examination (Figure 4b) demonstrated that the tooth was non-vital with a periapical diagnosis of symptomatic periapical periodontitis. Following assessment by a paediatric dentist and an endodontist, conventional orthograde endodontic treatment was initiated.

Endodontic management

Using a similar protocol to Case 1, conventional endodontics was initiated on tooth 22. The patient was apprehensive of dental treatment and became restless during appointments, limiting the amount of progress in each treatment session. The clinicians progressed to obturation once the symptoms had resolved, eight months after the initial endodontic treatment.

PEER-REVIEWED 323
Journal of the Irish Dental Association | Dec 2022/Jan 2023: Vol 68 (6)

Bioceramic putty and sealer were again used to achieve an apical plug. The tooth was obturated with gutta percha using a warm vertical obturation technique, and the access cavity was restored as in Case 1. Figure 4c shows tooth 22 immediately post obturation.

The tooth has been asymptomatic since obturation eight months ago and will be reviewed annually, clinically and radiographically, until normal periapical architecture returns. Patient B has been referred to a specialist orthodontist to consider treatment for her developing malocclusion.

Discussion

DI is not a rare dental anomaly, with reported prevalence as high as 10% in examined teeth and 26.1% of examined patients.1 The wide variation in reported prevalence is likely a result of the often-asymptomatic presentation, potential absence of clinical signs associated with DI, the various methods used to assess the presence of DI, and the methods of sample selection in the prevalence studies. The prevalence of DI is comparable to hypodontia, and is likely to be more common than pegshaped laterals, gemination and taurodontism.1,2

DI can predispose teeth to caries, pulpal necrosis, periodontitis, and periinvaginatus periodontitis, and can require complex endodontic treatment.5 Early identification of cases of DI can facilitate successful and minimally invasive interventions and consequently good outcomes for patients. In particular, the authors advocate for careful evaluation of the palatal surfaces of erupting permanent maxillary incisors of all paediatric patients and the routine sealing of clinically sound, deep grooves and pits identified. Accurate diagnosis of the anomaly, pulpal status and root maturity is vital for appropriate management of teeth with DI. Teeth with DI and complex internal anatomy have been recognised by the NHS as a condition that merits treatment by a consultant paediatric dentist.13

The Oelher’s classification system allows for rapid assessment of the complexity of DI cases and gives an indication of the potential treatment required to manage cases.3 Understanding of this classification by GDPs may facilitate greater understanding of when preventive treatment in general practice is appropriate and when to refer complex cases.

Patient A had previously received treatment for a mesiodens and had clinical features of DI; greater awareness of the clinical features of DI and association with other dental anomalies might have allowed earlier identification of the tooth with DI and potentially preventive treatment and improved outcomes.

These case reports demonstrate the potential complexity and increased burden of care of paediatric patients with non-vital and immature teeth with DI. The majority of specialist paediatric dentistry services in Ireland are delivered in private practice funded by parents.14 Consideration should be given to the formation of a national clinical care pathway for paediatric patients with complex dental needs, originating in primary care. Smile agus Sláinte, the national oral health policy, advocates for advanced oral healthcare centres, anticipated to include dental hospitals, with appropriately qualified and trained staff who can provide treatments beyond the scope of GDPs.15 Further research is needed to understand the oral health needs of children and young people in Ireland, as well as the barriers to and enablers of access to oral healthcare in Ireland, to facilitate workforce planning and economic cost evaluation.

These advanced oral healthcare centres would be ideally suited to fulfil the

role of the tertiary care provider within a clinical care pathway for paediatric patients with DI, in addition to complex traumatic dental injuries, and developmental defects of enamel and dentine. The authors support the formation of an appropriately resourced and funded clinical care pathway structure that ensures equitable access to multidisciplinary care for all patients throughout the country, including children with disabilities or in other vulnerable groups.

Conclusion

DI in paediatric patients presents a range of technical and patient management challenges. Awareness of the common clinical features and classification systems of DI among the dental profession can enable early diagnosis and appropriate preventive treatment. Consideration should be given to sealing deep cingulum pits on the palatal or lingual surfaces of incisors in children. If a tooth is severely compromised by DI and specialist management is required, it is essential that clinicians have access to appropriate referral pathways to facilitate access to timely and appropriate care. Multidisciplinary collaboration between specialties is essential to facilitate successful outcomes.

References

1. Alani, A., Bishop, K. Dens invaginatus. Part 1: classification, prevalence and aetiology. Int Endod J 2008; 41 (12): 1123-1136.

2. Gallacher, A., Ali, R., Bhakta, S. Dens invaginatus: diagnosis and management strategies. Br Dent J 2016; 221 (7): 383-387.

3. Oehlers, F.A.C. Dens invaginatus (dilated composite odontome): I. Variations of the invagination process and associated anterior crown forms. Oral Sur Oral Med Oral Pathol 1957; 10 (11): 1204-1218.

4. Bishop, K., Alani, A. Dens invaginatus. Part 2: clinical, radiographic features and management options. Int Endod J 2008; 41 (12): 1137-1154.

5. Patel, S. The use of cone beam computed tomography in the conservative management of dens invaginatus: a case report. Int Endod J 2010; 43 (8): 707713.

6. Zhu, J., Wang, X., Fang, Y., Von den Hoff, J., Meng, L. An update on the diagnosis and treatment of dens invaginatus. Aust Dent J 2017; 62 (3): 261-275.

7. Krastl, G., Weiger, R., Filippi, A., Van Waes, H., Ebeleseder, K., Ree, M., et al. European Society of Endodontology position statement: endodontic management of traumatized permanent teeth. Int Endod J 2021; 54 (9): 1473-1481.

8. Galler, K.M., Krastl, G., Simon, S., Van Gorp, G., Meschi, N., Vahedi, B., et al. European Society of Endodontology position statement: Revitalization procedure. Int Endod J 2016; 49 (8): 717-723.

9. Monaghan, L., Jadun, S., Darcey, J. Endodontic microsurgery. Part one: diagnosis, patient selection and prognoses. Br Dent J 2019; 226 (12): 940-948.

10. Coraini, C., Mascarello, T., de Palma, C.M., Gobbato, E.A., Costa, R., de Micheli, L, et al. Endodontic and periodontal treatment of dens invaginatus: Report of 2 clinical cases. Giornale Italiano di Endodonzia 2013; 27 (2): 86-94.

11. Irish Oral Health Services Guideline Initiative. Oral Health Assessment: Best practice guidance for providing an oral health assessment programme for schoolaged children in Ireland. 2012. Available from: https://www.ucc.ie/en/media/research/ohsrc/OralHealthAssessmentFull.pdf.

12. European Society of Endodontology. Quality guidelines for endodontic treatment: consensus report of the European Society of Endodontology. Int Endod J 2006; 39 (12): 921-930.

PEER-REVIEWED 324
Journal of the Irish Dental Association | Dec 2022/Jan 2023: Vol 68 (6)

13. NHS England. Commissioning Standard for Dental Specialties: Paediatric Dentistry. 2018. Available from: https://www.england.nhs.uk/publication/commissioningstandard-for-dental-specialties-paediatric-dentistry/.

14. Health Service Executive. A National Model of Care for Paediatric Healthcare Services in Ireland. Chapter 21: Paediatric Dentistry. 2015. Available from: https://www.hse.ie/eng/services/publications/clinical-strategy-andprogrammes/paediatric-dentistry.pdf.

15. Department of Health. Smile agus Sláinte: National Oral Health Policy. Department of Health; 2019. Available from: https://assets.gov.ie/9613/39736ac409d94a6194b52bdae5e3d1b0.pdf.

CPD questions

To claim CPD points, go to the MEMBERS’ SECTION of www.dentist.ie and answer the following questions:

1. Dens invaginatus has a reported prevalence as high as:

l A: 1%

l B: 10%

l C: 34%

2. An Oehler’s Class II invagination:

l A: Extends beyond the CEJ

l B: Communicates with the apical foramen

l C: Always communicates with the pulp

3. Clinical features of dens invaginatus include:

l A: Increased clinical width, talon cusps, pronounced palatal cingulum, deep grooving, incisal notching, and conical shape

l B: Increased clinical height, pronounced palatal cingulum, discolouration, and increased periodontal probing depths

l C: Talon cusps, deep grooving, peg-shaped lateral incisors, and hypomineralisation

PEER-REVIEWED 325
CPD
Journal of the Irish Dental Association | Dec 2022/Jan 2023: Vol 68 (6)

ADHD and oral health

Learning outcomes:

n develop a basic knowledge of ADHD, its diagnosis and management; n gain an understanding of the relevance of ADHD to dental care; n identify specific oral health risks related to ADHD; and, n obtain clinical tips for helping people with ADHD in the dental setting.

Introduction

Attention deficit hyperactivity disorder (ADHD) is a common condition, occurring in approximately 5% of children, and in 60% of cases it persists into adulthood. This paper brings together the work of a patient representative (KK), an advanced nurse practitioner (EK) and a dentist (KF), to discuss ADHD, its diagnosis, its management, and the relevance of ADHD to dental care. Specific oral health risks related to ADHD are outlined, and a number of resources for helping people with ADHD in the dental setting are suggested.

ADHD

ADHD is a neurodevelopmental condition that is estimated to affect 5% of children in Ireland (60,000 children). The condition persists into adulthood for over 60%, meaning that there are well over 100,000 adults in Ireland who also have the condition.1

The rates for assessment and treatment are low – ADHD is underdiagnosed.

Although 30-50% of all children using Child and Adolescent Mental Health Services (CAMHS) are there for ADHD assessment and treatment, this does not capture all children with the condition. There are no figures for the treatment rates for adults, but estimates place this at around 10%. Many individuals with ADHD go undiagnosed, so dentists are very likely to meet individuals with a diagnosis of ADHD and others who have it but may not be aware of the condition. ADHD is a highly heritable condition. The most common age for diagnosis is prepubescence (eight to 12 years); however, boys are diagnosed at a rate of 4:1 compared to girls in that age range, highlighting that there can be misunderstanding about ADHD. For example, not all those with ADHD are hyperactive. Inattention and impulsiveness are other key behavioural features of

the condition. Indeed, girls with ADHD tend to have more of the inattentive features – they may be known as a ‘dreamer’. It is also worth bearing in mind that ADHD is highly comorbid with other conditions such as dyslexia, dyspraxia and autism.

The science around ADHD has improved significantly in the past 20 years and we now know that the aetiology of ADHD is around abnormal dopamine signalling in the frontal cortex and a deficiency of noradrenaline in the reticular activating system.1,2 However, even with this knowledge, the greatest challenge in having ADHD is not the condition itself but rather the stigma and the low selfesteem that it brings.

Child On sensory overload:

Why do dental teams need to know about ADHD?

n It is helpful for people with ADHD to know that their dental team understands their condition, allowing a partnership approach to dental care; n an ADHD-friendly dental practice will empower people with ADHD to achieve their best oral health, reduce the stigma associated with the condition, and contribute towards improved self-esteem; n for the team, the principles of care when looking after someone with ADHD are quite universally applicable, so the suggested approaches can be useful for many patients, regardless of whether or not they have a diagnosis of ADHD; and, n ADHD and its management can impact on oral health risks and behaviours, and it is important for the dental team to understand this so that preventive approaches can be tailored to work for an ADHD patient.

Elaine Kelly RPN RNP RANP

Advanced

CHO2

“It's just like a lot of talking and like whispering going on like you know that’s just normal…but…I just don’t really like that either but there's a lot of sounds. They're working on your mouth and the light’s in your face, and they have like glasses on. I don't know what's going on. Only they know what's going on.” Journal

Kirsten FitzGerald BDentSc FFD(RCSI) MS(Texas)

Consultant Paediatric Dental Surgeon and Clinical Senior Lecturer

Children’s Health Ireland at Crumlin and Dublin Dental University Hospital

Corresponding author: Kirsten FitzGerald, Dental Dept, CHI at Crumlin, Dublin 12 E: kirsten.fitzgerald@olchc.ie

CLINICAL FEATURE 326
Ken Kilbride Chief Executive Officer, ADHD Ireland Coleraine House, Coleraine Street, Dublin Nurse Practitioner in ADHD CAMHS Connect, E-Mental Health Hub Castlerea, Co. Roscommon
of the Irish Dental Association | Dec
Vol 68 (6)
2022/Jan 2023:

ADHD diagnosis

FIGURE 1: Optimal assessment, diagnosis and management of ADHD.

Specific oral health risks of ADHD

n Higher risk for dental trauma in individuals with ADHD – bruxism is also common;

n decreased attention span may pose a challenge with plaque control; n stimulant medication may reduce saliva flow (even if not noted by the patient), increasing caries risk; n stimulant medication causes a reduction in appetite – when this wears off in the evening, there can be a rebound in appetite, with consumption of high levels of food, especially carbohydrates, not long before bedtime; and, n medications can have interactions with local anaesthesia.

Assessment and diagnosis

ADHD symptoms can present at an early age, and tend to become more noticeable with a change of circumstances (e.g., starting school). Symptoms can vary from mild to severe. The impulsive, fearless and chaotic behaviours typical of ADHD can be challenging for parents and carers. In Ireland, when ADHD is suspected, children and young people are generally referred to CAMHS for assessment. Figure 1 illustrates the process of diagnosis and management of ADHD. To help diagnose ADHD, clinicians use the guidelines in the American Psychiatric Association’s Diagnostic and Statistical Manual, Fifth Edition (DSM5). 3 This diagnostic standard helps to ensure that young people are appropriately diagnosed and treated for ADHD.

FIGURE 2: Individually tailored approach to ADHD management.

Management

CAMHS clinicians ensure that young people with ADHD have a comprehensive, holistic, shared treatment plan that addresses psychological, behavioural, occupational and educational needs. Figure 2 illustrates optimal management of ADHD using a tailored approach according to individual needs.

Adult ADHD

With increasing awareness of ADHD in our communities, many more adults are now assessed for and diagnosed with ADHD. An ADHD in Adults Model of Care was launched in 2021.1 Adults in three of the HSE’s Community Healthcare Organisations (CHOs 1, 3 and 6) should now be able to access a care pathway, with new CHO services on the plan for 2023. Referral can be from a GP to the HSE’s Adult Mental Health Team (AMHT), who can screen for the condition and refer on to the Adult ADHD Service as appropriate. The link with the AMHT is important due to the high levels of comorbidity with depression and anxiety in this patient group.1

On managing hyperactivity at

the dentist:

“Even when I’m like going to sleep my foot has this thing where it just goes up and down over and over again subconsciously… I had just one experience where the dentist kept telling me to stop, and I was like, ‘I can't, I can't’…”

“If I was able to have something in my hands [e.g., a fidget toy], so I can move without disrupting the dentist or something, but I know I’m still moving.”

Pharmacological management

As part of a comprehensive programme, pharmacological management of the symptoms of ADHD can be very effective. Medication does not cure ADHD but can help with symptoms. Untreated ADHD has been linked with higher rates of unemployment, sickness absence, illicit drug use and alcohol addiction, lack of academic achievement, antisocial behaviour, depression, anxiety, sleep disorders, unplanned pregnancy, and sexually transmitted diseases.4

Journal of the Irish Dental Association | Dec 2022/Jan 2023: Vol 68 (6)

CLINICAL FEATURE
327
Observing the young person
Talking to parents Identify individual needs Reports of behaviour at home and school Goals and treatment reassessed Optimal management of ADHD Establish treatment goals Treatment fine-tuned Commence treatment (pharmacological and nonpharmacological)

Mother on brushing vs sleep routine: “The morning is very routine you know so brushing the teeth is just part of the routine, but at bedtime… he takes melatonin [a prescribed sleep aid] for bedtime so if he's just about to fall asleep, and then we realise he has to brush his teeth, sometimes I have to make a judgment call on whether it's worth getting him back up, because it could literally be an entire night of no sleep if he misses that sleep window.”

Reliable and useful information about ADHD medication, and ADHD in general, can be found online from the Trinity College Dublin School of Medicine.2 The main classes of medications used in ADHD are: a) stimulants; and, b) nonstimulants.

Examples of stimulant medications include: methylphenidate (Medikinet and Ritalin as immediate release, Medikinet MR, Equasym XL and Concerta XL as slow release); and, lisdexamfetamine (Tyvense). Non-stimulant medications include atomoxetine (Strattera) and guanficine (Intuniv).

ADHD, oral health and dental care Children, adolescents, and adults with ADHD can have functional impairments that impact on their day-to-day lives. This impact extends to oral health and associated behaviours. Through interviews with individuals with ADHD, their perspective on oral health and dentistry is demonstrated in the quotes seen featured throughout this article.

A helpful suggestion: “She [the interviewee’s previous dentist] was really fantastic, and she just kept making sure that I couldn't feel anything before she did anything at all… you know, stopping straight away if that person is showing any tension so you didn't have to have a signal even to tell her to stop.”

The following are some examples of how ADHD can impact on oral health and dental care. Having knowledge and understanding of these issues can help dental teams (both clinical and administrative staff) to make reasonable accommodations to improve access to care and patient outcomes. There are also online resources to help oral health practitioners caring for children and adults with ADHD.5,6

1. Executive functioning

Difficulties with executive functioning can mean that making (and keeping) appointments is harder for those with ADHD. Text/email reminders may help. Combining written and verbal instructions is of value. For home oral care (e.g., brushing, flossing, antibiotic dosing), alarms and reminders can help, but let the patient tell you what works for them.

2. Emotional regulation

Difficulties with emotional regulation are a core facet of ADHD, but this is often overlooked. There can be difficulties with the ability to:

n inhibit behaviour triggered by strong emotions; n self-soothe and refocus attention from emotional events; and, n reorganise/substitute healthier emotional responses for future use.

A gentle, empathetic and responsive approach from the team is vital. Knowing when enough is enough is also key!

3. Sensory processing

As we now see ADHD as part of the neurodiversity of the human brain, it is increasingly recognised that sensory processing can be a problem for those with ADHD. The dental environment is busy and noisy, and there are a lot of smells, tastes and textures to deal with. Try to schedule people with ADHD for quiet times, reduce footfall, and consider turning off the music/radio and limiting chatter. Limit tastes, textures and smells where possible and, where unavoidable, introduce them carefully.

Adult On dental fear: “You're constantly overthinking so if you've got any nerves or fear of the dentist and any kind of like phobia style of thing it is going to make any kind of pain an awful lot more pronounced…I ended up having nightmares for days afterwards.”

4. Hyperactivity/impulsivity

Not everyone with ADHD is hyperactive, but those who are may struggle to sit still. Planning and taking breaks during dental care (counting helps) is useful. Some are impulsive – like having a Ferrari engine for a brain, but with bicycle brakes! This might manifest as an inability to wait, distractibility, or blurting out thoughts.

5. Inattentiveness

With inattentive ADHD, taking in information, especially verbally, can be hard. Written information may be easier to digest, and having a habit of ‘checking in’ can be helpful to establish how much has been understood, e.g., “Can you tell me in your own words what we have talked about today?” Give short, clear instructions, one at a time where needed, e.g., “Can you open wide?...Thank you…Now can you stick your tongue out…Thank you..”

On emotions: “When it comes to emotions we [people with ADHD] tend to feel emotions a lot more intensely.”

6. Language in ADHD

ADHD can be associated with language and communication difficulties (expressive, receptive and pragmatic). This may impact on social interactions, and it may be harder and take longer to build a trusting relationship. Patience, compassion and empathy from the dental team will go a long way.

CLINICAL FEATURE 328
Journal of the Irish Dental Association | Dec 2022/Jan 2023: Vol 68 (6)

7.

Positive aspects of ADHD

Many ADHDers are great fun – the life and soul of a party. Take time to enjoy the craic! ADHDers are often bright, funny, creative, have a strong sense of fairness, and can be highly motivated when they are interested in the subject. Focus on the positives and encourage these behaviours and traits.

8. Reducing risk – suggested increased dental preventive measures in ADHD

n Consider all patients on stimulant medications to be at moderate or high risk for dental caries due to the reduction in saliva flow caused by these medications.

patient group is important. Dental team members can learn about ADHD to help reduce the stigma and low self-esteem that can come with the condition, to help patients access compassionate ADHD-aware dental care, and to apply appropriate preventive measures to reduce disease risks and improve oral health.

Acknowledgements

Many thanks to the members of ADHD Ireland who kindly gave their time to be interviewed for this feature, in particular Evan and Natalie Wilson. For more information, go to www.ADHDIreland.ie.

References

Top tip: Document caries risk using a validated caries risk assessment tool and review at appropriate intervals.

n Increase fluoride exposure – consider 5,000ppm toothpaste for twice-daily use.

Top tip: Be sure to warn patients that this is not generally available on drug treatment/long-term illness/medical card schemes, so they will need to pay for it.

n Sealant placement on all susceptible pits and fissures.

1. HSE National Working Group and Clinical Advisory Group of College of Psychiatrists of Ireland on ADHD in Adults. ADHD in Adults National Clinical Programme: Model of Care for Ireland. January 2021. [Internet]. [cited September 15, 2022]. Available from: https://www.hse.ie/eng/about/who/cspd/ncps/mentalhealth/adhd/adhd-in-adults-ncp-model-of-care/adhd-in-adults-ncp-model-of-care.p df.

2. Trinity College Dublin School of Medicine, Psychiatry Research Group. ADHD. Trinity College Dublin, 2020. [Internet]. [cited September 15, 2022] Available from: https://www.tcd.ie/medicine/psychiatry/research/adhd/.

3. American Psychiatric Association. Diagnostic and Statistical Manual of Mental Disorders, fifth Edition, Text Revision (DSM-5-TR). 2013. [Internet]. Available from: https://doi.org/10.1176/appi.books.9780890425787.

4. Faraone, S.V., et al. The World Federation of ADHD International Consensus Statement: 208 evidence-based conclusions about the disorder. Neurosci Biobehav Rev 2021; 128: 789-818.

Top tip: Use a glass ionomer sealant for ease of placement and fluoride uptake/release.

n Consider placement of silver diamine fluoride (SDF) on early caries lesions to arrest progression.

Top tip: Be sure to discuss inevitable tooth discolouration before use.

n Suggest products that will make oral care quicker and more effective for the patient, e.g., three-sided toothbrushes, interdental brushes, chlorhexidine products.

Top tip: Avoid using product formulations that alter taste perception, such as 0.2% chlorhexidine. Try 0.12% chlorhexidine or other antimicrobial rinses instead.

Summary

ADHD is a complex condition that impacts on all aspects of day-to-day living, including oral health-related behaviours and risks. Understanding the condition and reducing the barriers to optimal oral health that are experienced by this

5. University of Washington and Washington State Oral Health Program. Oral Health Fact Sheet for Dental Professionals: Children with Attention Deficit Hyperactivity Disorder. University of Washington and Washington State Oral Health Program, 2010. [Internet]. [cited August 16, 2022]. Available from: https://dental.washington.edu/wp-content/media/sp_need_pdfs/ADHD-Dental.pdf.

6. University of Washington and Washington State Oral Health Program. Oral Health Fact Sheet for Dental Professionals: Adults with Attention Deficit Hyperactivity Disorder. University of Washington and Washington State Oral Health Program, 2010. [Internet]. [cited August 16, 2022]. Available from: https://dental.washington.edu/wp-content/media/sp_need_pdfs/ADHD-Adult.pdf.

Journal of the Irish Dental Association | Dec 2022/Jan 2023: Vol 68 (6)

CLINICAL FEATURE 329

Neuroinflammation: a distal consequence of periodontitis

Li, X., Kiprowska, M., Kansara, T., Kansara, P., Li, P.

Abstract

Periodontitis, a chronic, inflammatory disease, induces systemic inflammation and contributes to the development of neurodegenerative diseases. The precise aetiology of the most common neurodegenerative disorders, such as sporadic Alzheimer's, Parkinson's disease and multiple sclerosis (AD, PD, and MS, respectively), remains to be revealed. Chronic neuroinflammation is a wellrecognised component of these disorders, and evidence suggests that systemic inflammation is a possible stimulus for neuroinflammation development. Systemic inflammation can lead to deleterious consequences on the brain if the inflammation is sufficiently severe or if the brain shows vulnerabilities due to genetic predisposition, ageing, or neurodegenerative diseases. It has been proposed that periodontal disease can initiate or contribute to the AD pathogenesis through multiple pathways, including key periodontal pathogens. Dysbiotic oral bacteria can release bacterial products into the bloodstream and eventually cross the brain-blood barrier; these bacteria can also cause alterations to gut microbiota that enhance inflammation and potentially affect brain function via the gut-brain axis. The trigeminal nerve has been suggested as another route for connecting oral bacterial products to the brain. PD and MS are often preceded by gastrointestinal symptoms or aberrant gut microbiome composition, and alterations in the enteric nervous system accompany the disease. Clinical evidence has suggested that patients with periodontitis are at a higher risk of developing PD and MS. This nexus among the brain, periodontal disease, and systemic inflammation heralds new ways in which microglial cells, the main innate immune cells, and astrocytes, the crucial regulators of innate and adaptive immune responses in the brain, contribute to brain pathology. Currently, the lack of understanding of the pathogenesis of neurodegeneration is hindering treatment development. However, we may prevent this pathogenesis by tackling one of its possible contributors (periodontitis) for systemic inflammation through simple preventive oral hygiene measures.

Journal of Dental Research 2022; 101 (12): 1441-1449. doi: 10.1177/00220345221102084. PMID: 35708472; PMCID: PMC9608094.

Digital versus conventional impressions in fixed prosthodontics: a review

Abstract

Purpose: To conduct a systematic review to evaluate the evidence of possible benefits and accuracy of digital impression techniques versus conventional impression techniques.

Materials and methods: Reports of digital impression techniques versus conventional impression techniques were systematically searched for in the following databases: Cochrane Central Register of Controlled Trials; PubMed; and, Web of Science. A combination of controlled vocabulary, free-text words, and well-defined inclusion and exclusion criteria guided the search. Results: Digital impression accuracy is at the same level as conventional

impression methods in fabrication of crowns and short fixed dental prostheses (FDPs). For fabrication of implant-supported crowns and FDPs, digital impression accuracy is clinically acceptable. In full-arch impressions, conventional impression methods resulted in better accuracy compared to digital impressions.

Conclusions: Digital impression techniques are a clinically acceptable alternative to conventional impression methods in fabrication of crowns and short FDPs. For fabrication of implant-supported crowns and FDPs, digital impression systems also result in a clinically acceptable fit. Digital impression techniques are faster and can shorten the operation time. Based on this study, the conventional impression technique is still recommended for full-arch impressions.

Journal of Prosthodontics 2018; 27 (1): 35-41. doi: 10.1111/jopr.12527. PMID: 27483210.

Tooth preservation vs extraction and implant placement in periodontally compromised patients: a systematic review and analysis of studies

Sarafidou, K., Lazaridi, I., Gotsis, S., Kirmanidou, Y., Vasilaki, D., Hirayama, H., Michalakis, K.

Abstract

Purpose: The aim of this systematic review was to identify studies with a minimum of five years’ follow-up, reporting on the management of periodontally compromised teeth with either extraction and subsequent implant placement, or teeth preservation with conventional periodontal treatment and application of regenerative procedures. The outcomes of these two approaches, based on clinical and radiographic data and the incidence of tooth and implant loss, were also investigated.

Materials and methods: A systematic search for studies reporting on clinical and radiographic outcomes of periodontal treatment or replacement of periodontally compromised teeth with implants was conducted in three electronic databases, followed by a hand search in eight journals. Only randomised controlled trials (RCTs), cohort studies, and case series with prospective design were included.

Results: The initial search resulted in 1,080 papers. After the first two screenings, 24 publications were selected for inclusion in this systematic review. The treatment protocols for the teeth preservation group contained nonsurgical and/or surgical periodontal treatment with or without regeneration procedures. The implant studies included extraction of periodontally involved teeth and implant placement with or without bone and soft tissue augmentation, followed by restoration with fixed dental prostheses (FDPs). Survival rates ranged between 81.8% and 100% in the tooth retention group, and between 94.8% and 100% in the implant group. In the extraction group, no complications were reported for 76.09% of the implants. Similarly, no complications were reported for 86.83% of the tooth retention group. The lack of standardised comparable studies prohibited conduction of a meta-analysis.

Conclusions: Both treatment approaches – treatment of periodontally compromised teeth, or tooth extraction followed by implant placement – present high survival rates. The application of bone regeneration techniques improves the long-term prognosis of periodontally involved teeth. Hence, treatment of periodontally involved teeth with subsequent application of a rigorous maintenance protocol can be a viable alternative for a number of years, before

330 ABSTRACTS
Ahlholm, P., Sipilä, K., Vallittu, P., Jakonen, M., Kotiranta, U.
Dec
Vol 68 (6)
Journal of the Irish Dental Association |
2022/Jan 2023:

proceeding to extraction and replacement with dental implants. More welldesigned RCTs are needed in order to draw definite conclusions on the subject.

Journal of Prosthodontics 2022; 31 (8): e87-e99. doi: 10.1111/jopr.13560. PMID: 35794083.

Effect of ambient lighting conditions on tooth colour quantification in cross-polarised dental photography: a clinical study

Farah, R.I., Almershed, A.S., Albahli, B.F., Al-Haj Ali, S.N.

Abstract

Statement of problem: Limited data are available in the dental literature regarding the effect of ambient lighting on the consistency of colour quantification in cross-polarised photography.

Purpose: The purpose of this clinical study was to investigate the effects of ambient lighting conditions and post-processing photograph calibration on colour quantification in cross-polarised dental photography.

Materials and methods: Twelve volunteers with intact maxillary central incisors were recruited. Cross-polarised photographs were captured under light-emitting diode (LED), fluorescent ceiling, and natural lighting. The photographs were

Quiz answers

Questions on page 317.

1. A percutaneous endoscopic gastrostomy (PEG) is a flexible silicone tube surgically inserted into the stomach to allow feeding.

2. a) Establish why Chloe has a PEG. PEG feeding is often indicated when: n there is an aspiration risk due to a poor or declining gag reflex; n the patient cannot feed orally due to dysphagia/swallowing problems, e.g., due to neurological deficits associated with a medical condition/global developmental delay or post brain surgery; n the patient cannot meet their nutritional needs orally, e.g., due to cystic fibrosis; and, n the patient needs unpalatable specialised feeds for a medical condition, e.g., in liver disease/metabolic disorders.

b) Is Chloe completely nil by mouth?

Some patients may still be taking a normal diet and medicines orally but are too fatigued to take in enough calories, and the PEG is used to boost their intake. Others may be effectively taking everything through their PEG, including their medication. However, you may find that some nil per os (NPO) clients enjoy sneaky treats like ice cream so caries risk (and quality of life) has to be considered.

repeated after a one-week interval, yielding a total of 72 photographs. The average Commission Internationale de l'Eclairage L∗a∗b∗ co-ordinates of the right central incisor were obtained with a software program before and after calibration by using a neutral grey reference card. The colour difference (ΔE) values were calculated for each participant between the repeated photographs under the change and no change in illumination both before and after calibration. A threeway repeated measures ANOVA was used to compare these values (α=0.05).

Results: A statistically significant three-way interaction was found between the illuminant type, change in illumination, and calibration (P<0.001); however, all the ΔE values were within a clinically acceptable threshold (ΔE≤3.7). Before calibration, when photographs were captured under no change in illumination, LED lighting was found to have a significantly lower ΔE than fluorescent (P=0.008) and natural and fluorescent (P=0.011) lightings, but when there was a change in illumination, no significant differences (P>0.05) were found. After calibration, all the ΔE values were ≤1 and significantly lower than the values before calibration (P<0.001).

Conclusions: Both the ambient illuminant type and change in illumination had minimal effects on ΔE. Calibration through the use of a neutral grey reference card was found to result in reduced and imperceptible colour change (ΔE≤1) for all illuminant types.

Journal of Prosthetic Dentistry 2022; 128 (4): 776-783. doi: 10.1016/j.prosdent.2021.01.015. PMID: 33640092.

c) Explore Chloe's additional needs and comorbidities. Remember that Sinéad is an expert on her child and she's in front of you. Depending on how challenging it was to get to the surgery, it may not be the best time to launch into a detailed discussion and you may have to schedule a phone call with Sinéad to tease things out. Chloe's GP and paediatrician/clinical nurse specialist may also be a useful resource to clarify any concerns you have about providing care for Chloe. Of course, a structured phone call before the visit may have already provided all of this information.

3. a) Use two toothbrushes. The first brush acts like a mouth prop and Chloe can hold it and/or chew it while Sinéad should have more access on the other side.

b) Fingerguards (Figure 1) are invaluable. A Collis Curve brush (Figure 2) or Dr Barman’s Superbrush (Figure 3) may also be helpful. Sinéad is already making it a fun activity by

singing songs and brushing Chloe’s teeth when they are both relaxed and not rushed.

4. Priorities for Chloe are to: n establish a dental home for Chloe and explore referral pathways should Chloe require specialist dental care in the future; n develop a preventive regime and recall schedule based on Chloe’s individual needs. Chloe may be more prone to calculus build-up and require frequent visits with the hygienist. Patient positioning, good suction and gentle hand scaling are important considerations if aspiration is a risk;

n remember to review Chloe’s PEG status at each visit – oral feeding may be trialled or reintroduced and her caries risk status may change;

n always ask about swallowing issues as aspiration may become a risk; and, n co-ordinate Chloe’s recalls with her PEG feeding schedule and her other appointments.

331 ABSTRACTS
Journal of the Irish Dental Association | Dec 2022/Jan 2023: Vol 68 (6)
FIGURE 1: Fingerguard. FIGURE 2: Collis Curve brush. FIGURE 3: Dr Barman’s Superbrush.

SITUATIONS WANTED

Dentist available only one week per month (Mon-Sat) even in remote areas. 9+ years’ experience in endo/single implants/crowns/bridges. Email raffaele.apicella@hotmail.it.

SITUATIONS VACANT

Associates

Full/part-time associate required to join our practice in Edenderry, Co. Offaly. Experienced support team, friendly atmosphere, and excellent earning potential. View to partnership. PRSI/MC/private. Exact software, digital radiography and nice, bright modern surgery. Contact roniekennedy@gmail.com.

Full/part-time associate position available in Portobello (Dublin 8). Fully private, Cerec Primescan, iTero/Invisalign, microscopes. Fully supported by on-site hygienists, endodontist, oral surgeon, orthodontist, paedodontist. Implants, sedation (IV/RA). CPD encouraged and facilitated. Contact helen@portobellodental.com.

Full- or part-time dental associate position available in Sutton in Dublin 13. Fully private, three-shape scanner and microscopes. Hygienist present. Full support present with endodontics, oral surgery, dental implants and conscious sedation. Ideal environment for professional development. Contact northdublindentalassociate@gmail.com.

Part-time associate required for busy practice in Ongar village. 50% remuneration, excellent staff and support, digital X-rays and OPG. Please send CV to ongar.dental@gmail.com or call 01-640 2733 for further information.

Dental associate required for a busy, modern dental practice. Fully digital. Excellent support staff and working environment. Clare, Tipperary, Galway border. 50% split. Private/PRSI. Contact drrothwelldental@gmail.com.

Experienced associate required to replace a departing colleague at our busy Galway practice. Modern, extremely well-resourced surgeries with state-of-the-art equipment and excellent support. We are a multidisciplinary centre encouraging

Classified advertisements are accepted via the IDA website www.dentist.ie only, and must be pre-paid. The deadline for receipt of advertisements for inclusion in the next edition is Friday, January 13, 2023 Classified ads placed in the Journal are also published on www.dentist.ie for 12 weeks. Please note that all adverts are subject to VAT at appropriate rate.

Advert size Members Non-members up to 25 words ¤80 ¤160 26 to 40 words ¤95 ¤190

The maximum number of words for classified ads is 40. If the advert exceeds 40 words, then please contact: Think Media, The Malthouse, 537 North Circular Road, Dublin 1. Tel: 01-856 1166 Fax: 01-856 1169 Email: paul@thinkmedia.ie Please note that all classified adverts MUST come under one of the following headings:

4 Situations wanted 4 Situations vacant

4 Practices for sale/to let 4 Practices wanted

4 Equipment for sale/to let Classified adverts must not be of a commercial nature. Commercial adverts can be arranged by contacting Paul O’Grady at Think Media.

further professional development with mentoring available. Contact jason@jmedental.com.

We are looking for a part-time associate dentist, with a view to full-time in January 2023, due to expansion. We provide treatment under PRSI, medical card and private. Our team comprises enthusiastic staff forming a friendly working environment. Contact rmccorry1@hotmail.com.

kbm dental has an opportunity for an experienced associate to join a well-established practice with a busy list from long-term departing colleague. Extremely high remuneration, four days per week with a view to transition to ownership. Contact management.kbmdental@gmail.com.

South County Dublin. Associate wanted initially for two to three days with potential to expand in busy, fully digital, computerised practice. Hygienist, Invisalign, great back-up, lovely working environment. Possible view to partnership. Email dentalassoc993@gmail.com.

Experienced associate required for modern practice, full/part-time, in Bray. OPG, SOE, facial aesthetics helpful. Excellent terms/mentoring if required. Contact drjohnmurphy@gmail.com.

Athlone. Dental associate wanted to replace departing colleague. Experience required. OPG, CBCT, digitalised. Private. Email reception@mearesdental.ie.

Dental associate required to replace departing colleague in busy west Dublin practice. Immediate start and five-day week available but flexibility not an issue. Experienced support staff and friendly working environment. Please reply with CV to dentalpost1@gmail.com.

Associate required to replace departing colleague in busy West Limerick practice. Practice has in-house prosthodontist, orthodontist and hygienists. Mentorship available for the correct candidate. Experienced support staff. Friendly working environment. Applications with CV to Shane Mullane at info@mullanedental.ie.

Full-time associate dentist required for a busy, modern dental practice in Co. Mayo. Highly experienced and friendly support staff. Excellent remuneration. Contact jobs@alexandradental.ie.

Associate dentist positions for well-established independent practice in the Portobello area of Edinburgh. NHS/mixed practice with high income, with 50% split. iTero scanner, six surgeries, implants, hygienist, experienced nurses and practice manager provide fantastic support for new graduates. Contact reception@dentalexpressedinburgh.co.uk.

Dental associate position available full/part-time in busy private practice, Stepaside Dental. Computerised, digital, great support, established, great ongoing new patient numbers. Ideally suited to three+ years’ experience in private practice with strong general skills. Email dublinassoc@outlook.ie.

Dental associate required in a busy private practice in Ennis. Modern facility with scanner/OPG/digital workflow. Send CV to counihandentalpractice@gmail.com.

Associate wanted to replace departing colleague in busy two-dentist practice in west Dublin. Friendly working environment, modern practice and excellent support staff. Immediate start for full-time associate but all options considered. To apply, email dentalpost1@gmail.com.

Associate position available from January in a busy dental practice in Co. Cork to replace a departed colleague. Great support with an experienced team of friendly staff. Experience preferred. Contact mallowdentist@gmail.com.

Dental associate required to join a friendly, busy and modern practice in Cavan town. Please apply by CV to churchstdental@gmail.com.

Part/full-time associate required for busy practice in Ongar, D15. 50% renumeration, excellent staff and support, fully digital, hygienist. Please sent CV to

CLASSIFIEDS 333 Journal of the Irish Dental Association | Dec 2022/Jan 2023: Vol 68 (6)

ongar.dental@gmail.com or call 087-055 2625 for further information.

Experienced dental associate required Carlow Town. Full-time position in private, well-established clinic. Be part of a great welcoming multidisciplinary team with many visiting specialists on site. Excellent backroom support. Cerec, in-house laboratory, digital scanner, CBCT. Please send CV to BPM.GMEDICAL@GMAIL.COM.

South Dublin practice looking for full- or part-time associate to join their team. New, modern, fully computerised with CBCT/OPG. Mainly private/little GMS. Very busy practice, excellent support staff. Contact Pauline@dentalconsultancy.ie.

Position available for associate dentist two to three days per week in Caherciveen. Very busy, private practice. Contact milltowndentists@gmail.com.

Dentists

Maternity Leave cover, Wexford Town. Starting December or January. Excellent remuneration on offer, flexible working environment, experienced and friendly support staff. Email ailbhelouisemurphy@gmail.com.

Full/part-time position available in friendly practice. Fully computerised general dental practice in Dublin 15. Excellent conditions and full support. Please email CV to info@stardentalcare.ie.

Full-time dentist required for busy Limerick City practice. Established over 20 years. Extremely well run with excellent staff and support. Private/PRSI/GMS. High earning potential. 50% remuneration. Long-term possibility of 55% split/partnership. Email karendentalsurgery@gmail.com.

Dentist wanted for modern multi-surgery practice in Mullingar, Co. Westmeath, 40 minutes from Dublin. In-house oral surgeon, periodontist, hygienists and exceptional support team. Latest equipment – OPG/CBCT, 3D scanner. Full time, full diary with loyal and rapidly growing patient base. Contact westmeathclinic@gmail.com.

Experienced, full-time dentist required to join a busy, long-established, fully computerised practice in Dublin 22. Full book. Excellent staff support in a collegiate working environment. Please send CV to practicemanager221@gmail.com.

Dublin (N) general and specialist clinic seeks a dentist who has a special interest in ortho and/or perio, especially implants. Excellent remuneration, fantastic team, full clinical support is available. Great on-site facilities: digital X-rays, scanner, etc. Contact info@dublinorthodontist.ie.

Experienced full/part-time dentist required to join a busy, long-established, private practice. Full book. Excellent staff support, fully digital, OPG, scanner. Contact info@springhillclinic.ie.

Full-time dentist required for clinic in Swords. Ongoing support from principal dentist. Flexible schedule. Up to five days a week. Car space. Annual leave. Invisalign training. Large patient database. Close to Pavilions Shopping Centre. Fully trained nurses. iTero scanner/fully digitised. Contact practicemanager@oneilldentalcare.ie.

Motivated, experienced dentist required for a part-time position two to three days in south Dublin. Excellent remuneration and a chance to expand your skillset. Great atmosphere among a friendly team. Contact: opportunitydentist5@gmail.com.

We have high earning opportunities available in our state-of-the-art practices in Meath and north-east Ireland. Fully supported by our skilled and experienced teams, flexible options, strong established book. Contact careers@dentalcareireland.ie.

We have high earning opportunities available in our state-of-the-art practices in the

southeast, including Kilkenny. Fully supported by our skilled and experienced teams, flexible options, strong established book. Contact: careers@dentalcareireland.ie.

Dental Care Ireland Limerick – we have a high earning opportunity available in our state-of-the-art practice in Limerick. Fully supported by our skilled and experienced team, flexible full- and part-time options, strong established book. Contact careers@dentalcareireland.ie.

Experienced dentist wanted to join our three-chair practice. Modern clinic, new equipment and fantastic team! Being registered with panel number for HSE is desirable. Contact melissa.graham@smartdentalcare.co.uk.

D4Dentist requires experienced dentist to replace departing colleague (moving abroad). Use of loupes and rubber dam desired. Modern practice with scanner/OPG/digital workflow. Experienced team with strong focus on patient care. Full-time position with busy book. Contact dentistjobd4@gmail.com.

Full/part-time dentist required for a busy practice in Arklow, Co. Wicklow. Practice is fully computerised. Highly supportive team. Excellent earning potential. Email CV to drgiri26@gmail.com.

Dentist required for private clinic in Dunboyne, Co. Meath. Flexible shifts and days. CV to dunboyneorthodontics@gmail.com.

Looking for a qualified, empathetic and friendly dentist to join a lovely practice located in the heart of Stoneybatter. Great remuneration package. Great team. Great location. Email/give us a call for a chat about the role. Contact onemanorplace@gmail.com.

Dentist required in busy practice in Dublin 3/9 area, 15-minute drive from city centre. Can support for foreign dentist in need of a working permit coming from abroad. Email Jin393@gmail.com.

South east: full/part-time dentist required to cover maternity leave from March and part-time position available thereafter. Long-established, multi-surgery practice. Fully private. Computerised, OPG, digital scanner, hygienist, visiting endodontist. Experienced, friendly staff. Mentoring available if required. Contact info@rogersdental.ie.

Full/part-time dentist and orthodontist required. Exciting opportunities for enthusiastic, self-motivated and experienced dentists in D8-D1 areas. Modern, well-equipped practices, fully computerised. Contact Diamondsmilejobs@gmail.com.

Dental Care Ireland Tullamore – our established modern practice has a high earning opportunity with busy patient books currently available for an experienced dentist. Flexible days and options. We look forward to hearing from you. Registration with Irish Dental Council is essential as is eligibility to work in Ireland. Contact careers@dentalcareireland.ie.

Dental Care Ireland Callan, Kilkenny – this well-established modern practice has a fantastic opportunity for an experienced dentist to join. Our clinical support team is friendly and experienced. Flexible options are on offer. Registration with Irish Dental Council is essential as is eligibility to work in Ireland. Contact careers@dentalcareireland.ie.

Dental Care Ireland Meath – Northeast Ireland opportunities are currently available, high earnings, strong books within established practices. Fully supported by our experienced teams. Registration with Irish Dental Council is essential as is eligibility to work in Ireland. Experience essential. Contact careers@dentalcareireland.ie.

Dentist sought for a friendly practice in Swords. Needed for at least three days a week and starting in the New Year. Contact vmongey@hotmail.com.

Dental Care Ireland South Dublin – we have a high earning opportunity for an

CLASSIFIEDS
334 Journal of the Irish Dental Association | Dec 2022/Jan 2023: Vol 68 (6)

experienced dentist to join our established practice. Minimum three years’ experience, four days per week, busy established books, fully supported by our friendly experienced clinical team. Contact careers@dentalcareireland.ie.

Locums

Locum dentist required in Portobello, Dublin, four 4 months from January 2023. Three to four days per week. Sedation experience (IV, Inhalation) ideal but not essential. Excellent support team. Endodontist, oral surgeon on site. Fully digitised, Cerec and iTero. Email daisy_em@hotmail.com.

Part-time/two days locum dentist required at the Ennis Dental Health Centre, Co. Clare, from December 2022 to April 2023. Excellent remuneration. Experienced support staff. Email gbrowne.ennis@gmail.com.

Specialists/limited practice

Orthodontist required for immediate start in private clinic in Dunboyne, Co Meath. Flexible shifts and days. Full clinical book. CV to dunboyneorthodontics@gmail.com.

Paediatric dentist required for busy modern practice in Dublin 13. Inhalation sedation equipment available. All required materials and equipment provided. Excellent remuneration. Highly experienced and friendly support staff. Contact northdublindentalassociate@gmail.com.

Dublin orthodontic specialist practice requires an orthodontic associate two to three days per week. In-house oral surgeon, general dentist, hygienist and therapists. Full clinical freedom/support available. Friendly team and patients. Excellent remuneration, progression plan available if required. Contact orthosull@gmail.com.

Specialist orthodontist positions available at Dublin Orthodontics. State-of-the-art facilities with iTero and Trios scanners. Support from a team of experienced specialists, orthodontic therapists and support team. Excellent remuneration. Flexible working hours that will suit your lifestyle. CVs to elaine.hand@dublinorthodontics.ie.

Full/part-time dentist and orthodontist required. Exciting opportunities for enthusiastic, self-motivated and experienced dentists in D8-D1 areas. Modern, well-equipped practices, fully computerised. Contact Diamondsmilejobs@gmail.com.

Dental Care Ireland – we have high earning opportunities for orthodontists to join our modern, computerised practices. Currently we have numerous roles due to expansion within Leinster, Munster and Connacht. Flexible options fully supported by our clinical teams. Registration with Irish Dental Council is essential as is eligibility to work in Ireland. Contact careers@dentalcareireland.ie.

Dental Care Ireland West of Ireland – we have high earning opportunities for implantologists to join our modern computerised practices. Flexible options, strong established books and fully supported by our clinical teams. Registration with Irish Dental Council is essential. Contact careers@dentalcareireland.ie.

Dental Care Ireland West of Ireland – we have opportunities in our established practices for oral surgeons. High earning opportunities within our state-of-the-art facilities. Fully supported by our friendly and experienced clinical teams. Registration with Irish Dental Council is essential. Contact careers@dentalcareireland.ie.

Fully private practice in north Dublin is looking for an endodontist or dentist with a special interest in endodontics to be part of a multidisciplinary team. Fully digital practice with CBCT, ISO, qualified nurses and excellent support staff. Contact drfahadkhan90@gmail.com.

Orthodontic therapists

Orthodontic therapist positions available at Dublin Orthodontics. Flexible working hours. State-of-the-art facilities with iTero and Trios scanners. Support from a team of experienced specialists, orthodontic therapists and support team. CVs to elaine.hand@dublinorthodontics.ie.

Are you fed up with general dentistry? If you would like to train as an orthodontic therapist and progress to be a dentist working with an interest in orthodontics, we would love to talk to you. Position full or part time. Contact orthodontictherapistreplies@gmail.com.

Dental nurses/receptionists/managers

Enthusiastic full-time dental nurse required in state-of-the-art specialist practice in north Dublin. Patient focused, computer literate, can-do attitude, capable of working on own initiative and as part of a team. Contact hrmanager@ncdental.ie.

Enthusiastic full-time dental nurse required for modern practice in Dublin. Patientfocused care and good initiative within a large team environment. Huge potential for progression and professional development. Excellent remuneration and flexible working hours. Contact northdublindentalassociate@gmail.com.

Longford: full-time enthusiastic dental nurse with reception duties required for a busy, innovative modern dental surgery that is currently extending to include a training centre. Contact exceldentalpractice1@gmail.com.

Rathfarnham: part-time dental nurse position available for friendly and energetic dental nurse with high standards and experience, who enjoys delivering quality dental care to our patients. Tuesday/Thursday and Friday 9.00am-5.00pm. Exact experience an advantage. Contact info@mowldsdental.ie.

Exciting and rare opportunity for enthusiastic part/full-time nurse to join our excellent, multi-award-winning team in Meath. Experienced, friendly team, excellent rates of pay, flexible hours. General dentistry, orthodontics, implants, facial aesthetics. Staff car park provided. Contact dentaljobireland1@gmail.com.

Part-time dental nurse required Ongar. Generous remuneration, excellent team, friendly atmosphere, flexible hours. Please send CV to ongar.dental@gmail.com or call 087-055 2625 for further information.

Dental nurse, full- or part-time, for state-of-the-art orthodontic specialist practice in Galway City. Suit energetic, well-motivated individual with good communication skills to join our high-calibre team. Excellent salary and work environment. Contact ortho@eircom.net.

Full- or part-time dental nurse required for busy general practice, Kilcock, Co. Kildare. Nursing/reception duties. Email CV to kilcockdental@gmail.com.

Kildare Town: we have a full-time position for a fully qualified, experienced nurse. Our practice has two dentists and a hygienist. Offering 18/hour. Contact Peter@fairgreendental.ie.

Dental nurse position available two days a week in Gorey starting January 2023. Modern, bright practice with friendly team. Huge potential for progression and professional development. Contact eleanor@ocdental.ie.

Part-time position available for Dental Nurse two to three days per week in Milltown and Caherciveen. Contact milltowndentists@gmail.com.

As a member of the Irish Dental Association you can use this logo on your website and other practice material. Contact aoife@irishdentalassoc.ie for details.

MEMBER 2022
335 Journal of the Irish Dental Association | Dec 2022/Jan 2023: Vol 68 (6)
CLASSIFIEDS

Dental hygienists

Full- or part-time position for friendly and experienced dental hygienist for computerised (Exact) general dental practice in Sutton. Excellent equipment, friendly patients and great support staff. Excellent remuneration and flexible working hours. Contact northdublindentalassociate@gmail.com.

Experienced hygienist required for city centre practice. Ideally Tuesday and Thursday but can be flexible with days. Private/PRSI. Contact marycreddy@gmail.com.

Hygienist required to join a friendly and experienced dental team in a wellestablished practice. One to two days available. Fully computerised (Exact). Nurse support. Contact suzannecurran@aol.com.

Hygienist required in Mallow, Co. Cork, to join a friendly and experienced dental team. One to two days available with an opportunity for growth. Fully computerised (Exact). Non corporate. Nurse supported. Contact suzannegyves@gmail.com.

Hygienist required for periodontal practice. Two days, well-established book. Hourlong appointments using EMS and Cavitron. Candidates must be registered with the Dental Council. You will be supported by a professional team including the principal and dental nurses. Contact info@periodontalsuite.ie.

Dental hygienist wanted to join friendly, modern, busy, developing, multidisciplinary practice in Letterkenny. Practice has special interests in orthodontics and implants. Contact siomur@hotmail.com.

Hygienist required two days per week. Long-established, busy hygiene book. New surgery. Choice of Cavitron or Woodpecker. Competitive remuneration. Great team! Contact info@rogersdental.ie.

Part-time dental hygienist required to join a friendly, busy and modern practice in Cavan town. Please apply by CV to churchstdental@gmail.com.

Co. Clare: hygienist required for modern west coast practice. Fully computerised, new Belmont chair, two days per week. Experienced, friendly, qualified support staff. Contact niallmcrty@gmail.com.

Hygienist position available one to two days per week for Milltown and Caherciveen. Very busy private practice. Contact: milltowndentists@gmail.com.

PRACTICES FOR SALE/TO LET

Long-established two-surgery practice in Kilkenny City centre. Low rent. Huge potential. Retirement planned. Principal available for transition. Priced to sell. Email dentalpractice3.1415@gmail.com.

North Dublin, 3km from Dublin city centre. Excellently located, fully private, longestablished three-surgery practice with plenty of room to expand to five/six surgeries. Own front door. Property: flexible options including freehold. Practice favourably priced. Contact: niall@innovativedental.com.

Modern single-handed private practice for immediate sale in south central Dublin. Very reasonable price and negotiable. Call 086-801 2940 or contact wmunroe2@gmail.com.

Dublin City, south. High-profile location with good access. Busy, existing twosurgery practice, with room to expand. Very low overheads including low rent. Excellent profits. No medical card. Principal retiring. Excellent value. Huge potential – currently no social media presence. Contact niall@innovativedental.com.

Single-surgery practice for sale. Do not own building but rent very reasonable, 25 minutes from Galway and Ennis. Modern equipment – digital X-ray, SOE Exact licence. Can retain or organise new staff. Priced to sell. Serious offers only. Contact Practicewest@yahoo.com.

Munster – great value. Very busy, long-established, well-equipped, three-surgery practice. Decontam, OPG in place. Excellent location – strong footfall. Freehold/leasehold options. Very good figures/profits. Long-term associate in place. Priced to sell – principal retiring. Contact niall@innovativedental.com.

Cork. Long-established, single-surgery practice with room to expand. Excellent location with full planning permission in place. Potential to put your ‘own stamp’ on the practice. Area wide open. Dentist retiring – realistic negotiable valuation. Contact niall@innovativedental.com.

EQUIPMENT FOR SALE

Space Saving Wall mounted digital OPG. Purchased new six years ago. Excellent condition. Price ¤11,000. Contact manager@luceydental.ie.

Letterkenny. Melag Vacuklav 31b autoclave. As new, used for six months. Other sundry items also. Practitioner recently retired. Details from sweeney_mb@hotmail.com.

Autoclave NSK iClave plus USB. Four years old, ¤1,900, refurbished, superb condition. Statim G4 USB, two years old, ¤2,000, like new. Contact yoursmile2612@gmail.com.

CLASSIFIEDS 336 MedAccount offer a full range of specialist dental accounting support and advisory services for Associates, Principals, Expense Sharing Partners and Hygienists. MedAccount Services S20, The Pottery, Pottery Road, Dun Laoghaire, Co. Dublin. Tel: 01 280 6414 Email: info@medaccount.ie Will you still be smiling at the end of the year? Make sure your practice is profitable in 2022 As Ireland’s only specialist dental accountants we’re here to help you control your practice costs QUARTERLY ACCOUNTS PAYROLL SERVICES TAX CONSULTANCY COST OF TREATMENT FIRST CONSULTATION FREE First consultation FREE OF CHARGE with no obligation to engage Journal of the Irish Dental Association | Dec 2022/Jan 2023: Vol 68 (6)

Dedicated to dentistry

Could you tell me about your background?

I qualified from Cork in 1988, and then worked for two and a half years in general practice in Kent in the UK. I came back to Cork to take up a position as research fellow in the Oral Research Centre in UCC. I completed a research master’s in dentistry. I went on to a clinical master's programme in conservative dentistry at Guy’s and St. Thomas's Hospital in London, subsequently completed the Membership in Restorative Dentistry at the Royal College of Surgeons, England, and was admitted to the UK Specialist Register. I moved to Denver, Colorado, in 1997 to take up a post as an Assistant Professor in Restorative Dentistry at the University of Colorado. I stayed there for three years, then moved to Bath in the UK, and was Lecturer in Restorative Dentistry at Bristol Dental School until 2004, when we returned to Cork. Having never worked in practice in Ireland, I worked as a locum to familiarise myself with the challenges of practice here. In 2007 I opened a referral-based practice limited to prosthodontics and implants, and worked there until late 2017.

What

Everywhere I've been, I've always joined the dental associations. That's been a means of getting to know local people and issues. When I returned to Cork, I joined the IDA and within a year, I was asked if I'd be interested in coming on board with the Munster Branch committee. I progressed from committee member to secretary and then president. It is a very active branch that organises and runs an evening lecture series and an ASM every year. My background allowed me to bring in several speakers from the UK for these events.

Editorial Board?

The IDA was looking for expressions of interest for the Editorial Board and I chatted to Cristiane da Mata, the new editor, and felt that I might be able to bring something to the table. That's how I became involved. We've had our initiation meeting and our first proper board meeting recently. I’m looking forward to it, the new approach with the Journal and where it's going.

What has been the biggest benefit of IDA membership for you?

The IDA gives you a network and a

structure to establish contact with your colleagues. As a dentist, it can be a very focused and solitary profession. When you actually get to step out of practice for a while as a person, and interact with people in the same profession but who have very different interests, it gives you a more dynamic and vibrant view of your own profession.

What are the big issues you think the Association needs to focus on?

I see the Association as having two really significant roles: one as a representative body, and the other as an educational and professional resource for dentists. The IDA has a great and well-established CPD programme. Dentistry is a changing landscape with a lot of new work practices and rapidly evolving requirements on your structures, how you practice and compliance. I think the challenge for the Association is to support members in that evolution and be a resource, because most of us are first and foremost clinicians but we're working in a business environment and that often throws up issues for people and trouble accessing resources. I would see a big role for the IDA in providing those resources or facilitating access to those resources and required expertise.

How would you like to see the Association progress in the future?

Staying current and relevant for the changing environment for dentistry, and for changing work and business practices. I think that we may well be evolving away from the single-handed practice model with the various different requirements and compliance issues. I think there will be a lot of members who have been either single-handed or smaller practices who will need additional support as they make this transition.

Outside of dentistry

Judith is part of a very active family, and spends a lot of time on the sidelines of various sports pitches cheering on her three children. She plays hockey and tennis herself, and her time in Colorado instilled a love of skiing and travel, and she usually takes a ski holiday every year. She also enjoys the more solitary pursuits of reading and photography.

338
led you to get involved in the IDA and how did that involvement progress?
Why did you decide to get involved with the JIDA
MY IDA
Journal of the Irish Dental Association | Dec 2022/Jan 2023: Vol 68 (6)
Dr Judith Phelan is a recent appointee to the JIDA Editorial Board and brings to the table years of international experience.

DIRECTOR’S MESSAGE

Meaningful reform of NHS dentistry needed

The past two-and-a-half years have brought a focus on the massive issues facing dentistry like never before. We've witnessed an almost constant daily media barrage highlighting dental deserts, universal access issues and the wider context of increasing financial pressures to deliver NHS care. Through it all there is a clear sense of the manifestation of the 'looming crisis' we have been warning about coming to pass.

Highlighting the issues

Our efforts to highlight the seriousness of these issues haven't been reserved to the media only. Your representatives have been feeding into parliamentary discussions on dentistry. In Northern Ireland, even in the absence of a functioning Executive, an unprecedented 50 Assembly questions have been submitted by MLAs to the Health Minister on dentistry issues since July. We have been working tirelessly to set the media and political direction on dentistry to effect much-needed reform. The media and our respective legislatures could not be more aware of the immense challenges facing NHS dentistry.

Yet, if there has been a clarion call for change, where is the evidence of the

equivalent follow through from national and devolved governments to fix things? There's an increasing sense that, while we've won the argument, we are yet to see the breakthrough so desperately needed to keep the NHS patient from dying.

Politics impacting on the survival of NHS dentistry

The massive political vacuum we've seen in the UK, and in a devolved Northern Ireland context, hasn't helped in finding the meaningful solutions needed. Prime ministers and their governments have been in disarray; we have lacked a functioning NI Executive since February, and with it a budget to be able to award even a below inflation DDRB pay uplift or deliver the fundamental reform needed. Meanwhile, the wider economic situation is continuing to bite at a pace government hasn't been able to keep up with. If NHS dentistry is to survive, governments must find a way to make substantive reforms that rebuild confidence among the profession. We will continue to raise the issues that need to be raised regardless of how challenging the macro environment appears. It's also an increasing part of our strategy to ensure that members don't feel hostage to fortune, held to ransom by governments that are in disarray, and working to flawed contract models that don't deliver fair or reasonable returns.

Increases in late-stage diagnosis for head and neck cancers in NI

Too many cases of head and neck cancers are being diagnosed at a late stage in Northern Ireland, resulting in poorer prognosis and higher mortality, Cancer Focus NI and the BDA have warned.

Joining forces during Mouth Cancer Awareness Month in November, both organisations called for full implementation of the Northern Ireland Cancer Strategy, specifically a commitment to raising public awareness of the risk factors, early signs of mouth cancer and the importance of regular dental check-ups for those at risk.

Newly collected data shows that late-stage tumours (T3/T4) increased from 33.76% of 470 cases in 2019 to 41.47% of 371 cases in 2020. The number of referrals in 2020 reduced by 22.1%, which points to the significant impact the Covid-19 pandemic has had on head and neck cancer presentation here. Additionally, the number of people diagnosed with oral cancer in Northern Ireland increased by more than 80% between 1993 and 2018, with the relative increase being greater among women than men.

Prof. Gerry McKenna, Chair of BDA NI Hospitals Group, said: “The data confirms the significant impact the Covid-19 pandemic has had on reduced head and neck cancer detection and referrals, and later-stage diagnosis in the wake of what has been traditionally a less than optimal

picture by way of detection and diagnosis. It’s important we put this into context. A large proportion of our head and neck cancer patients are not patients who are struggling to attend their general dental practice – they are people who do not (and have never) engaged with health services generally, hence the history of late presentation”.

Early detection is key. Dentists perform a head and neck cancer screen at all patient check-ups and review appointments. Registered patients will be given an urgent appointment if they notify their dentist about any changes in their mouth that may correspond with oral cancer.

The BDA and Cancer Focus NI are warning that the situation could get worse before it gets better, with Dervilia Kernaghan, Director of Services at Cancer Focus NI, commenting: “Cancer Focus NI’s health improvement services emphasise the importance of checking for signs and symptoms of cancer. If mouth cancer is spotted early, the chances of a complete cure are greatly increased. When cancerous lesions are small, treatment is generally less complicated and more effective. It’s vitally important that you go to your dentist or GP if you notice any worrying symptoms as soon as possible, which can include pain in the mouth or earache that persists, a lump in the neck, or difficulty or pain with chewing, swallowing, or speaking”.

Journal of the Irish Dental Association | Dec 2022/Jan 2023: Vol 68 (6) 279
The BDA is campaigning across the entire UK for reform of NHS dentistry, and yet a crisis seems imminent.

Turn static files into dynamic content formats.

Create a flipbook
Issuu converts static files into: digital portfolios, online yearbooks, online catalogs, digital photo albums and more. Sign up and create your flipbook.