The Modern Equine Vet - January 2023

Page 1

COVID-19 And Horses

Equine Flu: A Year-Round Problem

Zycosan Approved for OA

Tech Update: Embryo Transfer

Vol 13 Issue 1 2023 www.modernequinevet.com
Equine
Vet The Modern

SALES: ModernEquineVet@gmail.com

EDITOR: Marie Rosenthal

ART DIRECTOR: Jennifer Barlow

CONTRIBUTING WRITERS: Paul Basilio

COPY EDITOR: Patty Wall

• Adam Marcus

LEGAL DISCLAIMER: The content in this digital issue is for general informational purposes only. PercyBo Publishing Media LLC makes no representations or warranties of any kind about the completeness, accuracy, timeliness, reliability or suitability of any of the information, including content or advertisements, contained in any of its digital content and expressly disclaims liability of any errors or omissions that may be presented within its content. PercyBo Publishing Media LLC reserves the right to alter or correct any content without any obligations. Furthermore, PercyBo disclaims any and all liability for any direct, indirect, or other damages arising from the use or misuse of the information presented in its digital content. The views expressed in its digital content are those of sources and authors and do not necessarily reflect the opinion or policy of PercyBo. The content is for veterinary professionals. ALL RIGHTS RESERVED. Reproduction in whole or in part without permission is prohibited.

2 Issue 1/2023 | ModernEquineVet.com TABLE OF CONTENTS
Published by PERCY BO media  publishing PO Box 935 • Morrisville, PA 19067 Marie Rosenthal and Jennifer Barlow, Publishers Equine Vet The Modern GASTROENTROLOGY What Can Cystic Fibrosis Tell Us About Right Dorsal Colitis? 10 RESPIRATORY INFECTION Equine Flu: A Problem Year-Round, Especially for the Unvaccinated 13 TECHNICIAN UPDATE Management of a Mare With a Cervical Laceration To Obtain Foals Through Embryo Transfer ................................................. 14 NEWS NOTES FDA Approves Zycosan, First Injectable Pentosan for Osteoarthritis in Horses 8 Stay Away from Horses If You Have COVID-19 COVER STORY 4 Cover: Shutterstock/Oleksii Nedolia ADVERTISERS Arenus Animal Health/AssureGuard Gold 3 American Regent/Adequan 7 Epicur Pharma 11 Arenus Animal Health/Aleria-Releira 9

THE

Arenus Animal Health | 866-791-3344 | www.arenus.com SO INNOVATIVE...
Replace your mineral oil, electrolytes, adsorbents, or other treatment options with Assure Guard Gold-NG the only effective and easy to administer slow gelling quick relief formulation including 2 cups of ultra pure psyllium, 72 billion CFU of probiotics, prebiotics, antacids, L-glutamine, electrolytes and energy. For continued support, consider a 10 day supply of Assure Guard Gold after treatment. IT’S LIKE MAGIC Ask your Arenus Veterinary Solution Specialist how Assure Guard Gold-NG and Assure Guard Gold can help your equine patients quickly and effectively recover from the digestive upsets you treat daily.
® Assure Guard
Together, Assure Guard Gold-NG And Assure Guard Gold Create A Powerhouse Against Your Most Challenging Digestive Cases. Use Assure Guard Gold-NG For Fast Relief And Maintain Excellent Digestive Health With Assure Guard Gold.
REAL MAGIC IS IN THE RESULTS
The Ultimate Digestive Aid
Gold

INFECTIOUS DISEASES

4 Issue 1/2023 | ModernEquineVet.com

Stay Away from Horses if You Have

COVID-19

As people become infected with new variants of SARS-CoV-2, the organism that causes COVID-19, there is likely to be more spillover to animals. Already infections have been reported in cats, dogs and minks, among others, but clinical disease in equids has not been documented.

However, a recent series of studies showed that a small percentage of horses do test seropositive for SARS-CoV-2, but are asymptomatic, so it might only be a matter of time before equids become symptomatic.

These seropositive results came after the animals were exposed to an infected person; therefore, people should probably avoid contact with their horses if they are suffering from COVID-19, according to Nicola Pusterla, PhD, DACVIM, who presented the results at the 68th Annual AAEP Convention.

“In a nutshell, there is no reason to panic about SARS-CoV-2 and horses,” he said. “While horses are susceptible, they are dead-end hosts. The way they become infected is via spill over from human beings with or without clinical disease,” explained Dr. Pusterla, a professor in equine internal medicine at the University of California Davis School of Veterinary Medicine.

“It's interesting to know that populations of horses that have a lot of interactions with humans, especially those who live where we have a more contagious variant of SARS-CoV-2 [circulating] are more likely to test seropositive [than other horses],” Dr. Pusterla added.

Questions About COVID-19 in Horses

In the early days of the pandemic, Dr. Pusterla and his colleagues were fielding a lot of questions about horses and whether they could come down with COVID-19. Everyone was reading about COVID-19 infections among other animals, but they wanted to know about possible infection in their horses, and information was scant.

Dr. Pusterla and his colleagues had the opportunity to look at the question closely when a colleague came down with COVID-19 and was concerned about infection in her own 2 horses.

“She was worried that her horses could potentially contract or had already contracted SARS-CoV-2,” he said, so they collected samples—nasal secretions, blood and feces—and followed the 2 horses. Neither horse developed overt respiratory disease, but

Shutterstock/RealPeopleStudio ModernEquineVet.com | Issue 1/2023 5

INFECTIOUS DISEASES

1 horse did seroconvert to SARSCoV-2.

3 Studies Look for COVID-19 in Horses

They then looked at 3 sets of data to determine if SARS-CoV-2 could be detected in healthy or sick horses using serology and quantitative polymerase chain reaction (qPCR) testing. They looked at:

1. horses that came to UC Davis with acute onset of fever and respiratory signs

2. racehorses that had close contact with humans, but appeared healthy; and

3. stored laboratory samples that had been collected during the pandemic.

“We knew that several domestic animal species and captive animals have experienced COVID-19 and that horses are susceptible to other coronaviruses,” he said.

In the first study, they tested nasal swabs taken between Jan. 1 and Dec. 31, 2020, from 667 equids that presented with fever and respiratory signs. They tested the samples for multiple respiratory pathogens, such as equine influenza virus (EIV); equine herpes virus-4 and -1 (EHV-4, EHV-1), equine rhinitis viruses (ERVs) and Streptococcus equi. They found that 36% of the horses tested qPCR positive for 1 of the common equine respiratory pathogens, but none were positive for SARS-CoV-2.

In the next study, they tested racing animals.

“The racetrack had to cancel races in the summer of 2020 because too many race track people tested positive—a lot of asymptomatic people—and that gave us the idea to test the horses because in order for a horse to become infected, it has to have human interactions—not only human interactions, but it has to have interactions with a human who is actually shedding SARS-CoV-2,” he explained.

The California Horse Racing Board not only requires drug testing but requires that serum is collected and held for a particular period, which gave them a good sample size to test, according to Dr. Pusterla.

“We had a little bit more serum samples than horses. Some horses were tested multiple times. We had a total of 587 Thoroughbreds that were involved in this study,” he said.

“We found 6% of horses had evidence of anti-

bodies against SARS-CoV-2,” he said. “We had 4 horses that had initial blood samples that tested negative and then suddenly—in the course of the 8 weeks—became positive. The time between a negative and a positive ranged from 22 to 41 days.”

And finally, they looked at 1,563 serum samples from 1,186 horses that presented to the hospital from February 2020 to March 2022 for a variety of medical reasons—including surgery. These horses were between 1 day to 43 years old, with a median of 13 years.

Dr. Pusterla joked that this study was “the fault of Dr. Stephan Keller. He had the great idea to bank every single laboratory sample that would have been discarded from dogs, cats and horses from the beginning of the pandemic. So, he ended with probably 10 freezers filled with serum samples.”

That gave them, not only a large collection of serum samples from a range of horses over a 2-year period, but also access to some of the horses’ medical histories. “We had access to the demographics of these horses, the time of the year, as well as presenting complaint,” Dr. Pusterla explained.

They found 42 horses which tested seropositive for SARS-CoV-2.

“Spring was the only significant prevalence factor for seropositivity,” he said (i.e. more seropositive horses against SARS-CoV-2 were found during the spring months).

All 3 studies should be taken as good news, according to Dr. Pusterla, because few horses are seropositive and even if they are, they are not presenting with clinical disease. However, if the pandemic has taught clinicians anything, it is that the virus continues to change and when it does, some of its characteristics change, too. For instance, the original SARS-CoV-2 was less transmissible but more virulent. The current omnicron variants are more transmissible, but fewer people have serious disease.

“So, if there's 1 take-home message I want each of you to consider not only for yourself, but also for your horse owner, is if you have COVID-19 stay away from other humans. We know that, but also stay away from animals. We don't want that virus to suddenly adapt in a different species and then bounce back into human beings, and that is still a possibility,” he said. MeV

6 Issue 1/2023 | ModernEquineVet.com
Practice social distancing not only from other people, but also from animals, including horses, if you come down with COVID-19.

nothing else like it.

For more than 30 years, Adequan® i.m. (polysulfated glycosaminoglycan) has been administered millions of times1 to treat degenerative joint disease, and with good reason. From day one, it’s been the only FDA-Approved equine PSGAG joint treatment available, and the only one proven to.2, 3

Reduce inflammation

Restore synovial joint lubrication

Repair joint cartilage

Reverse the disease cycle

When you start with it early and stay with it as needed, horses may enjoy greater mobility over a lifetime.2, 4, 5 Discover if Adequan is the right choice. Visit adequan.com/Ordering-Information to find a distributor and place an order today.

BRIEF SUMMARY: Prior to use please consult the product insert, a summary of which follows: CAUTION: Federal law restricts this drug to use by or on the order of a licensed veterinarian. INDICATIONS: Adequan® i.m. is recommended for the intramuscular treatment of non-infectious degenerative and/or traumatic joint dysfunction and associated lameness of the carpal and hock joints in horses. CONTRAINDICATIONS: There are no known contraindications to the use of intramuscular Polysulfated Glycosaminoglycan. WARNINGS: Do not use in horses intended for human consumption. Not for use in humans. Keep this and all medications out of the reach of children. PRECAUTIONS: The safe use of Adequan® i.m. in horses used for breeding purposes, during pregnancy, or in lactating mares has not been evaluated. For customer care, or to obtain product information, visit www.adequan.com. To report an adverse event please contact American Regent, Inc. at 1-888-354-4857 or email pv@americanregent.com. Please see Full Prescribing Information at www.adequan.com.

1 Data on file.

2 Adequan® i.m. Package Insert, Rev 1/19.

3 Burba DJ, Collier MA, DeBault LE, Hanson-Painton O, Thompson HC, Holder CL: In vivo kinetic study on uptake and distribution of intramuscular tritium-labeled polysulfated glycosaminoglycan in equine body fluid compartments and articular cartilage in an osteochondral defect model. J Equine Vet Sci 1993; 13: 696-703.

4 Kim DY, Taylor HW, Moore RM, Paulsen DB, Cho DY. Articular chondrocyte apoptosis in equine osteoarthritis. The Veterinary Journal 2003; 166: 52-57.

5 McIlwraith CW, Frisbie DD, Kawcak CE, van Weeren PR. Joint Disease in the Horse.St. Louis, MO: Elsevier, 2016; 33-48.

All trademarks are the property of American Regent, Inc.

© 2021, American Regent, Inc.

PP-AI-US-0629 05/2021

There’s
www.adequan.com

FDA Approves Zycosan, First Injectable Pentosan for Osteoarthritis in Horses

The FDA approved pentosan polysulfate sodium injection (Zycosan, Anzac Animal Health) for the control of clinical signs associated with osteoarthritis in horses.

Pentosan polysulfate is a heparin-like compound and is the first injectable pentosan product to receive FDA approval.

Pentosan will be an important addition to the available approved drugs to control the clinical signs of osteoarthritis in horses, the agency said.

In granting approval, the FDA considered data from a field study in client-owned horses that had lameness in 1 leg and were diagnosed with osteoarthritis in that lame leg. Horses in the treatment group received pentosan polysulfate sodium injection by intramuscular (IM) injection in the neck once every seven days for 4 weeks, for a total of 4 doses. Horses in the control group were given an equal volume of saline at the same dosage regimen.

Each horse’s lameness was graded on Days 0 and 28 of the study. On Day 28, more horses in the pentosan-treated group had improved lameness grades compared with the control group, and the study results indicated that treatment with pentosan at the labeled dose helped horses with single limb lameness due to osteoarthritis.

The most common adverse reactions associated with the administration of pentosan were injection site reactions (pain, heat, swelling, redness and neck muscle cramping) and prolonged coagulation parameters (activated partial thromboplastin time (aPTT) and prothrombin time (PT)). Some injection site reactions initially occurred around the time of dosing and other injection site reactions were initially delayed (up to 3 days after dosing). All peri-dosing reactions resolved without specific treatment. All delayed reactions resolved within 5 days from onset,

and most didn’t require treatment. Clinical signs of bleeding were not seen in any horse.

Zycosan is only available with a veterinary prescription because professional expertise is required to diagnose osteoarthritis, properly administer the injection, and monitor the safe use of the product, including treatment of any adverse reactions, the company said.

Unapproved injectable formulations, including compounded formulations of pentosan have a long history of use in horses, but Zycosan is the first injectable pentosan product to have met the FDA’s standards. Therefore, the agency urged veterinarians to use the legally marketed FDA-approved Zycosan when pentosan is indicated for use in an equine patient. (https://www.fda.gov/animal-veterinary/productsafety-information/dear-pharmacy-professionalletter-advising-pharmacies-dispense-zycosan-pentosan-polysulfate-sodium)

FDA-approved drugs, like Zycosan, have demonstrated that they are safe and effective for their indication and have been consistently manufactured to preserve the drugs’ identity, strength, quality and purity, the agency said.

Because pentosan polysulfate sodium is a weak anticoagulant, people who take an anticoagulant should use caution when handling or administering Zycosan.

Zycosan should be administered at a dose of 3 mg/kg (1.4 mg/lb) by IM injection once weekly for 4 weeks (for a total of 4 doses). Zycosan is supplied in a 7.5 mL single-use vial.

Osteoarthritis involves the slow breakdown of joint cartilage, which can result in a variety of clinical signs such as lameness, stiffness, and joint swelling. While there is no cure for osteoarthritis, appropriate management can help control the clinical signs and improve the horse's quality of life. MeV

8 Issue 1/2023 | ModernEquineVet.com
NEWS NOTES
CHECK OUT “Moving
Read the results of a the pivotal pentosan polysulfate study in decreasing osteoarthritis in horses, which Dr. Scott McClure presented at the American Association of Equine Practitioners annual meeting.
One Step Forward in Treating Arthritic Horses“ in the December, 2022, issue of Modern Equine Vet

WHAT CAN

Cystic Fibrosis

TELL US ABOUT

Right Dorsal Colitis?

Chronic right dorsal colitis (RDC) remains poorly understood overall, but the disease is often associated with administration of nonsteroidal antiinflammatories (NSAIDs). New research suggests this condition may have some key common characteristics with a human genetic disease.

Could these common characteristics open the door to new equine therapies?

Protect the prostaglandins

In general, NSAIDs such as phenylbutazone and flunixin have negative effects on intestinal mucosa by reducing the production of prostaglandins. Most prostaglandins are products of inflammation and can contribute to pain levels, but there are prostaglandins that provide beneficial effects in the intestine and kidneys.

“Prostaglandins are critical for maintaining the protective mechanisms of the mucosa in any tissue,” said Anje G. Bauck, DVM, PhD, DACVS (Large Animal), a clinical assistant professor at the University of Florida College of Veterinary Medicine. “This includes bicarbonate and mucus production. Any horse treated with an NSAID is at risk, but there does seem to be some individual sensitivity that varies from horse to horse.”

In a presentation at the 68th AAEP Convention in San Antonio, Dr. Bauck raised 2 important questions:

1. What is it about the right dorsal colon that predisposes it to this condition?

10 Issue 1/2023 | ModernEquineVet.com
GASTROENTROLOGY
Images courtesy of Dr. Anje
Ussing chambers provided a physiological method to measure ion transport.
G. Bauck

2. Are there similar, naturally occurring diseases in other species that we can potentially learn from regarding RDC in the horse?

First-of-its-kind investigation

Fermentation inside the equine colon results in a large volume of volatile fatty acids, and these acids require a buffer (e.g., bicarbonate) to protect the mucosa. This buffering is crucial to maintaining homeostasis along the mucosal surface.

“Our question was whether NSAIDs interfere with that buffering capacity by limiting bicarbonate secretion in the colon,” Dr. Bauck said. “We were interested in the electrogenic secretion of anion in colonic epithelial cells, because that could be critical for buffering of the lumen contents.”

In humans with cystic fibrosis, the cystic fibrosis transmembrane conductance regulator (CFTR) is impaired.

“Classically, cystic fibrosis is thought of as a deficiency in chloride secretion,” she added. “But newer technology has demonstrated that bicarbonate secretion is also deficient in animals with abnormal CFTR proteins.”

Bicarbonate is immensely important for maintaining the normal microclimate of the mucosal surface in any mucosal tissues, but particularly in the intestinal tract.

“CFTR is a protein that hasn’t specifically been investigated in the equine intestinal tract prior to this research,” Dr. Bauck noted.

Her team had 2 hypotheses:

1. There are regional differences in bicarbonate secretion between the proximal portions of the ventral colon and the terminal section of the dorsal colon.

2. NSAIDs such as phenylbutazone block bicarbonate secretion in the equine right dorsal colon.

In clinically normal horses, the intraluminal pH remains remarkably steady along the length of the large intestine despite the onslaught of volatile fatty acids.

“This suggests that there is a continuous source of buffer and an efficient neutralization and absorption of volatile fatty acids along the length of the large intestine.”

She added: “The more terminal sections of the colon would presumably compensate by producing

Type of Facility Product Purpose Regulatory Oversight Regulations Product Dating Traditional Compounding Pharmacy Customized prescriptions for individual patients State Boards of Pharmacy USP (United States Pharmacopeia) Beyond-Use Date (limited) FDA Registered Manufacturer Manufactured drugs in bulk quantities for hospitals FDA cGMP (current Good Manufacturing Processes) Expiration Date (proven) Two Divisions, One Focus: Improving patient outcomes with medications you’ve been trusting since 1975. Start Your Order! For Office Orders: 888-508-5032 | For Patient Prescriptions: 800-754-5222 503A 503B

their own endogenous buffer using different transport mechanisms.”

Under the influence of an NSAID, however, the buffering capacity—specifically in the terminal right dorsal colon—could be reduced. That could lead to damage of the mucosa and cause colonic ulceration, similar to what occurs in RDC.

To the lab

To test their hypotheses, the team had to get creative.

“Bicarbonate is an anion that's not easy to study when compared with investigating sodium and chloride transport mechanisms,” Dr. Bauck said. “This was purely benchtop research, where bicarbonate secretion was measured ex vivo in the right dorsal colon and the right ventral colon.”

The tissues were collected in terminal surgeries and mounted using Ussing chambers, which provide a physiological method to measure ion transport across various epithelial tissues.

Bicarbonate secretion was monitored by measuring the pH in real time in this luminal mucosal chamber. As the tissues secreted bicarbonate, the team measured the pH change in the mucosal chamber.

“Then, we measured how much acid was required to keep the 1 chamber at a static pH,” she explained. “This is a technique called pHStat, and it allowed us to accurately measure bicarbonate secretion.”

The team found that when comparing the baseline bicarbonate secretion between the dorsal and

For more information:

ventral colon, the dorsal colon had significantly greater bicarbonate secretion vs. the ventral colon.

Subsequent inhibition studies proved that CFTR was responsible for the dramatic difference between the 2 colonic sites.

In the second experimental phase, the team confirmed that the right dorsal colon had robust bicarbonate secretion under normal conditions, and the bicarbonate secretion was reduced significantly under the influence of phenylbutazone.

The takeaways

Cystic fibrosis in humans and in laboratory animals is caused by a failure of anion secretion in the lungs, pancreas and the intestinal tract.

“Based on our data, we can pose the question of whether right dorsal colitis is, in fact, a type of druginduced cystic fibrosis,” Dr. Bauck said.

While the question itself is quite interesting, the results open the door to the investigation of new therapies for RDC that may not have been considered in the past.

“For example, 2 experimental studies have looked at using an oral sodium bicarbonate, which had been shown to increase pH and decrease lactic acid concentrations in the large intestines,” she said. “Both of those studies were specifically investigating treatments for hind gut acidosis, but our data do suggest that some failure of neutralization of intestinal contents could play a role in the pathophysiology of right dorsal colitis.” MeV

12 Issue 1/2023 | ModernEquineVet.com
GASTROENTROLOGY
Am J Vet Res
Bauck AG, Vidyasagar S, Freeman DE. Mechanisms of bicarbonate secretion in the equine colon ex vivo.
2022;83(8):ajvr.22.03.0045. https://avmajournals.avma.org/view/journals/ajvr/83/8/ajvr.22.03.0045.xml
Images courtesy of Dr. Anje G. Bauck A schematic showing the direction of the salt secretion.

EQUINE FLU: A Problem Year-Round, Especially for the Unvaccinated

Surveillance from 2008–2021 shows more unvaccinated horses infected

Many people do not consider equine influenza virus (EIV) a summer problem, but an analysis of a large dataset from U.S. horses shows that the virus occurs all year, explained Duane E. Chappell, DVM, who presented surveillance data at the 68th Annual AAEP Convention, in San Antonio.

Although the highest number of positive samples occur from March through May, “that is followed by a ramp-up period in the winter, December through February, with a decline in the warmer months,” said Dr. Chappell, who is a member of the professional services team at Merck Animal Health, which funds the equine biosurveillance program with grants to the University of California, Davis, College of Veterinary Medicine.

That summer decline does not mean the threat is zero, however.

“But we see it every month of the year. So, when you take some of the pathogens off your list because you think it's summertime—this one doesn't occur; it couldn't be that one—keep it on your watch list because as you can see from this large dataset, we see flu each and every month out of the year.”

The researchers looked at surveillance data from March 2008 to June 2021, which assessed 9,740 nasal swabs from 333 veterinarians/clinics in 42 states and found an EIV positive rate of 9.9% with 966 being quantitative polymerase chain reaction (qPCR) positive for EIV, making it the second most common respiratory virus after equine herpes virus 4 (EHV-4) 28.8% positive for EIV vs. 31.1 for EHV-4 of total positive samples).

Most infections (35%) occurred

among those 1 to 4 years of age. Those aged 5 to 9 (about 28%) also saw a good bit of infection, but positive tests declined with age older than 10 (<15%), he said.

Most of the positive samples were among Quarter horses, followed by Thoroughbreds and Arabians, but any horse can get the flu, he reminded.

Because the vaccination status of the horse was often unknown, it is difficult to get a clear picture of the effect of vaccination on acquiring disease. However, there were more positive cases among unvaccinated horses than vaccinated ones, he said.

“When we looked at vaccination status, we did see that qPCR positive cases were less likely to occur in horses that had some history of a vaccination as opposed to negatives. As I'd mentioned earlier, the most common vaccination status reported was unknown. So, it made this a bit of a difficult number to put our finger on,” Dr. Chappell said.

Mares were positive more often than geldings and stallions, but a horse’s work did not seem to affect the

EQUINE INFLUENZA

• Incubation period: 24–72 hours

• Transmission: Aerosol & fomites

• Nasal shedding: 3–10 days

• Hallmark clinical signs: fever, cough, nasal discharge

DIAGNOSIS

• Nasopharyngeal swab qPCR testing

• Viral culture

• Serology

RECOVERY

• 1 week rest for each day of fever

Continued on page 17

ModernEquineVet.com | Issue 1/2023 13
RESPIRATORY INFECTION

Management of a Mare with a Cervical Laceration to Obtain Foals Through Embryo Transfer

A 10-year-old Warmblood mare presented with a reproductive history of a dystocia a few years prior, resulting in severe trauma to the cervix.

After the dystocia, reproductive evaluation of the veterinarian at that time revealed that the mare had sustained a cervical laceration involving roughly 40% of the cervical canal and was given a poor prognosis for carrying a foal to term or for being a viable candidate for embryo donation. Based on the poor prognosis and the development of chronic endometritis secondary to the cervical laceration, she was leased to the current management for use as a riding horse, instead of a brood mare.

First physical examination

Upon presentation to a veterinarian at Rood & Riddle, the mare was bright, alert, responsive and in good physical condition (Body Condition Score [BCS] of 5.5/9). Upon transrectal ultrasonography,

the mare had multiple 20 mm follicles on the left ovary, multiple 20 mm follicles on the right ovary and uterine edema score was a 1 (1 being mild, 2 being moderate, 3 being heavy). There was 1 cm of slightly echogenic intrauterine fluid present, and the cervix was scored a 2 (1 being tightly closed, 2 moderately tight, 3 open). Direct cervical palpation revealed a full thickness defect between the 1 and 3 o’clock positions that extended from the external os cranially to approximately 50% of the length of the cervical canal. The clinician did not feel at this time that this defect would prevent conception, only that the cervical competency may prevent the mare from carrying a foal to term, and also predispose the mare to an increased risk for uterine infection. The decision was made to attempt to achieve pregnancies from this mare via embryo transfer.

Treatment plan

Seven weeks later, transrectal ultrasonography revealed multiple 20 mm follicles on the left ovary, a 35 mm follicle on the right ovary, 2.5 for uterine edema, 1 cm uterine fluid, and the cervix was a 3. At this time a uterine swab was taken and submitted for culture and cytology.

Cytology revealed severe inflammation with moderate epithelial cells, greater than 5 neutrophils per high-powered field, few cocci in pairs and heavy debris. Culture growth at 48 hours recovered growth of Beta-hemolytic Streptococcus. Treatment of the mare included uterine lavage with 5 L sterile Lactated Ringers Solution (LRS) followed by intrauterine infusion of N-Acetylcysteine (150 mL of a 3.3% solution in 0.9% sterile NaCL).

On the second day of treatment, the uterus was lavaged with 3 L LRS and then infused with 2 g ceftiofur (60 mL volume in 0.9% sterile NaCL). The uterine infusion was repeated after 3 days. Follow-up transrectal ultrasound exams revealed that the mare was still in spring transition.

Three weeks later, the ultrasound exam revealed multiple 15 mm follicles on the left ovary, a 37 mm and a 29 mm on the right ovary, uterine edema 2.5, 0.5 cm uterine fluid, and cervix open at a 3. Swab intrauterine culture and cytology was obtained.

Culture and cytology results were identical to the previous cycle, with the cytology showing severe inflammation with moderate epithelial cells; greater

14 Issue 1/2023 | ModernEquineVet.com TECHNICIAN UPDATE
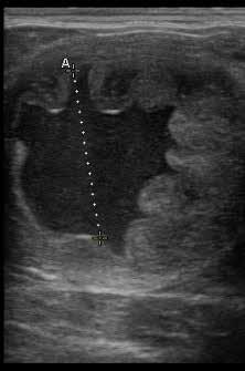
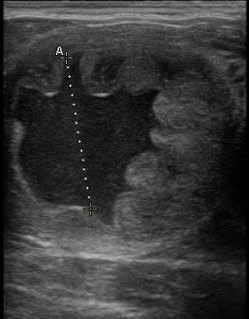
Intrauterine fluid Al images are courtesy of Rood & Riddle

than 5 neutrophils per high-powered field; few cocci in pairs and heavy debris; and culture growth at 48 hours yielded Beta-hemolytic Streptococcus.

Due to the minimal improvement with previous treatment, and the potential for biofilm and persistent infections given the chronicity of the case, the decision was made to use an inflammatory agent to stimulate the uterus to resolve the infection. Infusion of 500 mL kerosene into the uterus during late estrus occurred. Uterine lavage with LRS (3-5 L) was performed until the efflux was clear for the next 2 days.

Two weeks later, transrectal ultrasonography revealed a 50 mm follicle on the left ovary, a 30 mm follicle on the right ovary, uterine edema of 3, trace uterine fluid, an open cervix at 3, and 2 g ceftiofur (60mL volume in 0.9% sterile NaCL) was infused into the uterus.

The next day the rectal ultrasound of the reproductive tract showed similar findings, and again was given a ceftiofur uterine infusion. The mare was administered Sucromate intramuscularly to induce ovulation.

Two weeks later, an intramuscular injection of prostaglandin was administered to induce estrus. Upon development of a 35 mm follicle with heavy uterine edema of 3, a trace amount of uterine fluid, and an open cervix at 3, N-acetylcysteine was infused into the uterus as previously described to help decrease mucus and prepare the endometrium for breeding. To induce ovulation, IM Sucromate

was administered.

The next day the mare was inseminated with 3 billion total sperm, 2 billion progressively motile sperm (PMS). The following day, the mare had ovulated, uterine edema was a 2.5, 1cm of clear uterine fluid was retained and cervix was open. A uterine lavage was performed with 2L LRS and 2cc intravenous oxytocin was administered. The mare was administered 1cc intramuscular oxytocin three times a day for the following two days.

Seven days post-ovulation an embryo flush and collection was performed, using EMCARE embryo flush solution run through a low volume embryo filter. A day-7, grade-2 early blastocyst was recovered from this flush. This embryo was transferred within 30 minutes of collection into the owner’s recipient mare that had ovulated two days after the donor. Four days later, trans-rectal ultrasound revealed the recipient to be pregnant.

The following cycle the mare was treated and bred similarly to the previous cycle and a second embryo collection was performed. Another day-7, grade-2 early blastocyst was recovered. This embryo was transferred within 30 minutes of collection to the owner’s recipient mare and did not result in pregnancy.

Following the recovery of 2 embryos and the establishment of a single pregnancy, the owner elected to not pursue further breeding for the season. The clinician felt a cervical repair would be beneficial

ModernEquineVet.com | Issue 1/2023 15
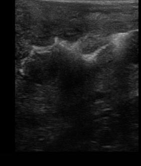
A cervical laceration repair Transrectal ultrasound image of a uterus following infusion of 500mL of Kerosene. Image taken 18 hours after infusion. The uterine lumen is profiled where the hyperechoic line is outlining the endometrial folds. Day 7 Grade 2 embryo

Teaching Points

This case report describes a mare that presented with a known cervical defect and chronic endometritis. Direct cervical palpation revealed a full thickness defect between the 1 and 3 o’clock positions that extended cranially approximately 50% of the length of the cervix and multiple uterine cultures over time resulted in the chronic growth of beta-hemolytic Streptococcus. While these defects predispose the mares to endometritis due to a failure of the cervical barrier, this case demonstrates how—with aggressive therapy and advanced reproductive techniques—mares may still be reproductively functional in producing offspring. Depending on the size and location of the defect, a surgical repair may be an option and the mare may still be able to carry a foal to term. If this is not possible for an individual mare, they can still be candidates for embryo transfer or oocyte aspiration and intracytoplasmic sperm injection (ICSI).

If embryo transfer is the route selected, the choice of ideal recipient mares needs to be considered. Recipient selection significantly affects pregnancy and embryo loss rates. Ideally, the recipient mares will be young (under 10), reproductively healthy and have carried a foal before. There are mares that are acceptable outside of these criteria and need to be taken into consideration as well. The recipient mares for this donor were older (12+ years old) and had not carried a foal for several years. The second recipient mare that was used carried fluid throughout multiple cycles and did not produce a pregnancy after embryo transfer.

In addition to the cervical defect, this mare also had chronic, active endometritis. Due to the impaired competency of the cervix when the cervix is damaged, there can be an increased bacterial challenge to the reproductive tract and an increased possibility for delayed clearance of fluids and bacteria following breeding. In some mares, repeated treatments over multiple cycles may be required, and in some cases, may still fail to resolve the endometritis.

Treatment of chronic endometritis with kerosene was chosen due to this mare not responding to traditional treatment methods. Treatment of the uterus with kerosene strips away mucus, cilia and, in some cases, endometrial epithelial cells and stimulates the endometrial glands. This allows regeneration of the epithelium and mucociliary apparatus. Based on both research and clinical experience, it has been shown that infusion of kerosene into the uterus can be an effective treatment for restoring fertility in a subset of mares that have suffered from chronic endometritis.

to prolong this mare’s reproductive life, which was performed 3 weeks after the final embryo recovery. The mare was shipped back to the owner before post-surgery evaluation could be performed. The following year, a filly was produced from the positive embryo flush. MeV

For more information:

About the Author

Crystal Howard, BS, is the Manager of the Reproduction Center at Rood & Riddle Equine Hospital, in Lexington, Ky. She is a member of American Association of Equine Veterinary Technicians and a proud Kansas State University graduate.

Carnevale EM, Ramirez RJ, Squires EL, et al. Factors affecting pregnancy rates and early embryonic death after equine embryo transfer. Theriogenology. 2000;54(6):965–979.

https://www.sciencedirect.com/science/article/abs/pii/S0093691X00004052?via%3Dihub

Troedsson MH. Uterine clearance and resistance to persistent endometritis in the mare. Theriogenology. 1999;52(3):467-471.

https://www.sciencedirect.com/science/article/abs/pii/S0093691X99001430?via%3Dihub

Bradecamp EA, Ahlschwede SA, Cook JL. The effects of intra-uterine kerosene infusion on endometrial epithelial cilia concentration. J Equine Vet Sci 2014;34(1):134.

https://www.sciencedirect.com/science/article/abs/pii/S0737080613007260

16 Issue 1/2023 | ModernEquineVet.com
TECHNICIAN UPDATE
Shutterstock/nelelena

RESPIRATORY INFECTION

EQUINE FLU , Continued from page 13

results. However, whether the horse traveled did play a significant role in positive cases.

“Infection was associated with travel," he said, "as well as when we had multiple horses on that same property,” Dr. Chappell said.

The overall positivity rate was variable from year to year, he explained, and they saw a peak in 2019 with a positive prevalence of about 15%, but then a decline in 2020 (>12%) and 2021 (>10%), which likely was due to COVID-19. The sequester at home not only affected people’s but also horses’ movement, he explained.

“I think COVID played a role in a decrease in sample submission rate during 2020, as well as 2021, which in turn had some impact on horse movement and probably some decrease in exposure rates [that typically occur from] commingling from place to place. That was all removed during that time when a lot of the shows were canceled,” Dr. Chappell surmised.

Testing is important, he said, because many of the respiratory signs are similar among the various organisms with fever, nasal discharge and cough, among others. Nasal shedding continues for 3 to 10 days after exposure and clinical signs. Most often we think of recovery to take typically 1 week of rest for each day of fever.

“Equine influenza virus is quick to spread through a barn after exposure, the incubation period is short, typically 1 to 3 days, and is easily transmitted from horse to horse, whether that be through coughing and propelling that virus, sometimes many yards across the barn, or through a lot of different fomite opportunities whether it be our own clothing or tack, a feed bucket or a water bucket.

“There's lots of ways to get it to move around. And as a matter of fact, it's more difficult to contain it than it is to move it,” Dr. Chappell warned.

Upper respiratory pathogen identification is critical in early management of outbreaks, and knowing the causative pathogen, “is so important to facilitate decision-making associated with treatment plans, biosecurity measures and decisions, as well as future epidemiological decisions,” Dr. Chappell said, but admitted that sometimes it can be difficult to convince clients to pay for the test.

“The fact is they all look the same. And if we do not take the time to invest in taking a few swabs, trying to identify what the current causative pathogen is, we really are going to have difficulty making good biosecurity decisions as well as good treatment plans.” MeV

This ongoing respiratory biosurveillance study is funded by Merck Animal Health

EQUINE RESPIRATORY BIOSURVEILLANCE PROGRAM

The ongoing Equine Respiratory Biosurveillance Program, which is funded by Merck Animal Health and managed by Nicola Pusterla’s lab at the University of California, Davis, began in 2008. Since that time, more than 11,000 samples from U.S. equids presenting with fever and upper respiratory signs or acute neurological disease have been collected. https://www.merck-animal-health-usa.com/species/equine/ biosurveillance

It is a voluntary sentinel program, where veterinarians from across the country send samples for quantitative polymerase chain reaction (qPCR) testing for several respiratory pathogens: EIV, EHV 1 and EHV 4, Streptococcus equi and equine rhinitis A and B.

The criteria for submission are:

• a horse’s rectal temperature needs to exceed 101.5° F, and

• the horse must have at least 1 clinical sign: nasal discharge, lethargy, cough or acute onset of central neurologic signs.

“We ask for 2 nasal swabs to be submitted along with a purple top tube of blood,” Dr. Duane Chappell said, and a horse’s vaccination status does not preclude sampling.

Along with the sample, they ask the veterinarian to fill out a form that has basic epidemiologic data, such as horse’s work, housing situation and vaccination status.

Unfortunately, he said, the vaccination status of the horse is often unknown.

All the samples are sent to the UC Davis qPCR lab for testing.

“This is a sentinel study program, not a comprehensive testing of each and every outbreak or each and every animal in an outbreak, but we ask for samples to be submitted as volunteers of a group,” Dr. Chappell said. “So, we may ask for 1 to 3 samples from a barn of 10 sick horses so that we can help an early identification of that pathogen, but we're not able to support comprehensive testing of each and every animal.”

The timing of sample collection can affect the results, he explained, so some negatives could have been positive.

“If we send it in a little too early in the course of disease, we have a possibility we may get a positive or negative. If we hit that sweet spot of 4 to 7 days after clinical signs have appeared and a fever episode starts, then you're going to be more likely to find a positive outcome. And as we move farther away from that initial exposure, and then when clinical signs develop, we'll see that at some point we start receiving more negative samples versus positive,” he said.

Still, despite the limitations, this is the largest biosurveillance program of equine respiratory infections in the country, so they are working with a large dataset.

ModernEquineVet.com | Issue 1/2023 17
Reach your veterinarians wherever they are, whenever they want. FOR ADVERTISING RATES AND INFORMATION, EMAIL ModernEquineVet@gmail.com Equine Vet The Modern

Turn static files into dynamic content formats.

Create a flipbook
Issuu converts static files into: digital portfolios, online yearbooks, online catalogs, digital photo albums and more. Sign up and create your flipbook.