The Modern Equine Vet - December 2022

Page 1

Vol 12 Issue 12 2022 www.modernequinevet.com Reducing Accounts Receivable Long-Lasting Effects Seen After Steroid Joint Injections Tech Update: Surgical Treatment for Kissing Spine One Step Forward in Treating Arthritis Equine Vet The Modern
2 Issue 12/2022 | ModernEquineVet.com TABLE OF CONTENTS LEGAL DISCLAIMER: The content in this digital issue is for general informational purposes only. PercyBo Publishing Media LLC makes no representations or warranties of any kind about the completeness, accuracy, timeliness, reliability or suitability of any of the information, including content or advertisements, contained in any of its digital content and expressly disclaims liability of any errors or omissions that may be presented within its content. PercyBo Publishing Media LLC reserves the right to alter or correct any content without any obligations. Furthermore, PercyBo disclaims any and all liability for any direct, indirect, or other damages arising from the use or misuse of the information presented in its digital content. The views expressed in its digital content are those of sources and authors and do not necessarily reflect the opinion or policy of PercyBo. The content is for veterinary professionals. ALL RIGHTS RESERVED. Reproduction in whole or in part without permission is prohibited. SALES: ModernEquineVet@gmail.com EDITOR: Marie Rosenthal ART DIRECTOR: Jennifer Barlow CONTRIBUTING WRITERS: Paul Basilio • Adam Marcus COPY EDITOR: Patty Wall Published by PERCY BO media  publishing PO Box 935 • Morrisville, PA 19067 Marie Rosenthal and Jennifer Barlow, Publishers Equine Vet The Modern ONCOLOGY Collaborative Care Saves Horse With Chronic Colic Condition 8 TECHNICIAN UPDATE Surgical Treatment of Kissing Spine in a Warmblood Mare ............... 12 PRACTICE MANAGEMENT How to Reduce Accounts Receivable 20 NEWS NOTES Long-Lasting Effects Seen After Intra-Articular Triamcinolone .......... 3 What’s the Reliability of Inflammatory Biomarker Testing After Penicillin G Injections? 19 7 Essential Genes Identified in Successful Racehorses 22 Moving One Step Forward in Treating Arthritic Horses COVER STORY 4 Cover: Shutterstock/Callipso88 ADVERTISERS Shanks Veterinary Equipment 3 American Regent/Adequan 7 Arenus Animal Health/Assure Gold 9 Merck Animal Health 11 Arenus Animal Health/Aleira 13 American Regent/BetaVet 15 Arenus Animal Health/Assure Gold 19 Arenus Animal Health/Releira 21

Long-Lasting Effects Seen After Intra-articular Triamcinolone

Fourteen days may not be long enough for the corticosteroid triamcinolone acetonide to clear before a race, according to a new study.

Triamcinolone, a corticosteroid frequently used to manage joint inflammation, has residual antiinflammatory effects 2 weeks after administration, the researchers said. “Within the context of current racing and competition requirements, this would suggest that 14 days may not be long enough if the concern is that the drug may maintain performance enhancing effects via its anti-inflammatory properties,” they wrote.

The researchers wanted to know if this common treatment for joint inflammation had any residual effects. In this cross-over trial, the veterinarians gave 5 mixed-breed horses intra-articular betamethasone and triamcinolone and measured their effects on various inflammatory parameters and lameness.

The horses, which were all 2 years old, were randomly assigned to intra-articular injections of either betamethasone or triamcinolone acetonide into the radiocarpal joint. Two weeks after the injections, the horses were injected with 1 μg of lipopolysaccharide (LPS) diluted in 1 mL of saline. After the LPS injection, horses were crossed over to the other treatment, and both sets of injections repeated.

They took blood at multiple times during the study to measure mRNA, serum amyloid (SAA) and cortisol. Each time they took blood, they also did a subjective lameness evaluation.

Additional injections of saline-only or LPS-only were give twice more as negative and positive controls, respectively.

They found that only the corticosteroid-only treatment resulted in significant mRNA expression differences and prolonged cortisol suppression. The betamethasone only affected the expression of interleukin 6 (IL-6), according to the researchers.

Equine Vet J. 2022 Nov. 17. https://doi.org/10.1111/ evj.13899

https://beva.onlinelibrary.wiley.com/doi/10.1111/evj.13899

“After LPS injection, there was a residual treatment effect with triamcinolone evidenced by a significant treatment effect on IL-6 and PTGS1 (cyclooxygenase-1), lameness, SAA and cortisol concentrations, while only IL-6 expression was affected by betamethasone,” the researchers wrote.

The reserchers reminded veterinarians that intra-articular injection of corticosteroids is not without risk, which was demonstrated by the significant suppression of serum cortisol. Therefore, veterinarians should weigh the benefits of their administration against those risks.

MeV

Lifting Large Animals Since 1957

NEWS NOTES ModernEquineVet.com | Issue 12/2022 3
www.shanksvet.com
Partridge E, Adam E, Wood C, et al. Residual effects of intra-articular betamethasone and triamcinolone acetonide in an equine acute synovitis model.
For more information:
Fourteen days may not be long enough to eliminate any performance enhancing effects of triamcinolone.

MOVING ONE STEP

Pentosan polysulfate at a dose of 3 mgs/kg given intramuscularly once a week was safe and effective in decreasing osteoarthritis (OA) in horses, according to a recent study presented at the American Association of Equine Practitioners annual meeting.

“The pentosan did significantly decrease lameness, and it was well tolerated in this population of horses,” said Scott McClure, DVM, PhD, DACVS, DACVSMR, who presented the results at the meeting.

Studies in other animals, particularly dogs, showed that pentosan improves cartilage, increases proteoglycan content, reduces metalloproteinases, improves fibrinolysis and stimulates hyaluronic acid production, but researchers wanted to know if horses would see the same results.

Veterinarians from 12 veterinary practices in multiple states performed a randomized, placebo-controlled field trial to find out, according to Dr. McClure, the

owner of Midwest Equine Surgery and Sports Medicine, in Boone, Iowa.

The 237 horses enrolled in the study were between 3 to 32 years old; 82 were mares, 15 geldings and 4 stallions. Multiple breeds were studied. Enrolled horses had a lameness score between 2 and 4, according to the AAEP lameness scale. In addition, they had radiographic confirmation of the OA in at least 1 limb. Except for the OA, the horses were in good health generally, Dr. McClure said.

Younger horses or horses with a lameness score of <2 or >4 were not included, as were horses with conditions other than OA that could have contributed to their lameness. The horses had not received recent lameness-modulating treatments, such as nonsteroidal anti-inflammatories or corticosteroids, prior to or during the study.

Supplements such as glucosamine were permitted

Shutterstock/Vera Larina 4 Issue 12/2022 | ModernEquineVet.com
ORTHOPEDICS

FORWARD

in Treating Arthritic Horses

if they were administered at least 30 days before the beginning of the trial. They horses were not permitted supplementation once the trial began.

“It is a fairly severe model from the standpoint that all the horses included had to be advanced to the point of having radiographic evidence of OA in a single joint,” Dr. McClure said. “And as you would expect, the exclusion criteria are fairly extensive: eliminating NSAIDs, surgeries, other common treatments for osteoarthritis in the horse.

“The objective was to get a fairly nice, tight group of mature horses with basically moderately advanced osteoarthritis,” he explained.

The horses were randomly assigned to receive an intramuscular injection of 3 mg/kg of pentosan

once weekly for 4 weeks or saline placebo injections. Because the 2 comparators were physically different, an administrator, who was not blinded provided the injections, but the investigator who provided the lameness and physical examinations and the owners were blinded to the horse’s treatment, explained Dr. McClure.

Radiographs, lameness and physical examinations were done throughout the study, as was periodic blood testing for prothrombin time (PT) and activated partial thromboplastin time (aPTT). The injection sites were also monitored.

“On day zero, these horses were evaluated,” Dr. McClure said. “The lameness exam could be regional, could be intra-articular, but the lameness was lo-

ModernEquineVet.com | Issue 12/2022 5

calized in these horses and verified with radiographic evidence,” he explained.

“I should expand a little bit on the physical exam part. AAEP lameness scale is utilized, so the horses are graded weekly by the same blinded investigator. And the other thing that was very consistently evaluated were the injection sites. Because of the potential for the effect on clotting, the injection sites were very meticulously graded, scored and evaluated repetitively in these horses,” Dr. McClure said.

The primary endpoint was an improvement of at least 1 lameness grade in the affected limb.

“An adverse event was defined as any unfavorable and unintended observation in the horse that occurred any time following administration of the IVP [pentosan] or CP [saline],” he said.

The horses treated with pentosan (106) saw a 58.92% success rate (43.52-72.74; P=0.0419), while

those in the control group (113) saw a 36.29% success rate (CI 23.34-51.59; P=0.0419), according to Dr. McClure.

In all, 65 horses in the treatment group and 41 horses in the control group saw a reduction of at least 1 lameness score after treatment, he said.

“Pentosan is a fairly well-known drug,” Dr. McClure explained. It is approved for use in Europe and Australia.

“The horses in this study] were a more severely affected population of horses than probably where pentosan is routinely utilized,” Dr. McClure said. “In countries where pentosan has been approved, veterinarians tend to use it a little bit more prophylactically rather than therapeutically. But in this model, it was very effective for us.”

The study was done to gain FDA approval for pentosan polysulfate and was funded by Anzac Animal Health. All investigators were paid for their time. MeV

6 Issue 12/2022 | ModernEquineVet.com
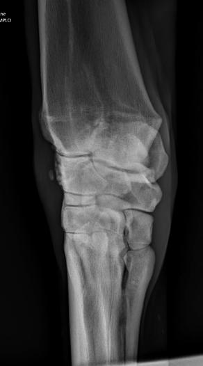
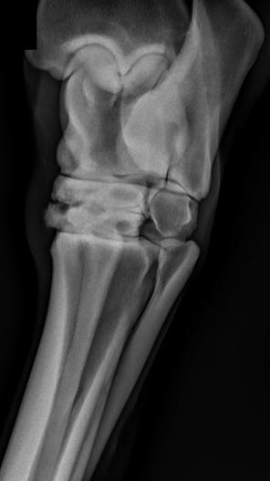
Radiographs of a knee (left) and a hock (right), showing osteoartritis in a horse.
ORTHOPEDICS
Images courtesy of Dr. McClure

There’s nothing else like it.

For more than 30 years, Adequan® i.m. (polysulfated glycosaminoglycan) has been administered millions of times1 to treat degenerative joint disease, and with good reason. From day one, it’s been the only FDA-Approved equine PSGAG joint treatment available, and the only one proven to.2, 3

Reduce inflammation

Restore synovial joint lubrication

Repair joint cartilage

Reverse the disease cycle

When you start with it early and stay with it as needed, horses may enjoy greater mobility over a lifetime.2, 4, 5 Discover if Adequan is the right choice. Visit adequan.com/Ordering-Information to find a distributor and place an order today.

BRIEF SUMMARY: Prior to use please consult the product insert, a summary of which follows: CAUTION: Federal law restricts this drug to use by or on the order of a licensed veterinarian. INDICATIONS: Adequan® i.m. is recommended for the intramuscular treatment of non-infectious degenerative and/or traumatic joint dysfunction and associated lameness of the carpal and hock joints in horses. CONTRAINDICATIONS: There are no known contraindications to the use of intramuscular Polysulfated Glycosaminoglycan. WARNINGS: Do not use in horses intended for human consumption. Not for use in humans. Keep this and all medications out of the reach of children. PRECAUTIONS: The safe use of Adequan® i.m. in horses used for breeding purposes, during pregnancy, or in lactating mares has not been evaluated. For customer care, or to obtain product information, visit www.adequan.com. To report an adverse event please contact American Regent, Inc. at 1-888-354-4857 or email pv@americanregent.com. Please see Full Prescribing Information at www.adequan.com.

www.adequan.com

1 Data on file.

2 Adequan® i.m. Package Insert, Rev 1/19.

3 Burba DJ, Collier MA, DeBault LE, Hanson-Painton O, Thompson HC, Holder CL: In vivo kinetic study on uptake and distribution of intramuscular tritium-labeled polysulfated glycosaminoglycan in equine body fluid compartments and articular cartilage in an osteochondral defect model. J Equine Vet Sci 1993; 13: 696-703.

4 Kim DY, Taylor HW, Moore RM, Paulsen DB, Cho DY. Articular chondrocyte apoptosis in equine osteoarthritis. The Veterinary Journal 2003; 166: 52-57.

5 McIlwraith CW, Frisbie DD, Kawcak CE, van Weeren PR. Joint Disease in the Horse.St. Louis, MO: Elsevier, 2016; 33-48.

All trademarks are the property of American Regent, Inc.

© 2021, American Regent, Inc.

PP-AI-US-0629 05/2021

COLLABORATIVE CARE

Saves Horse from Chronic Colic Condition

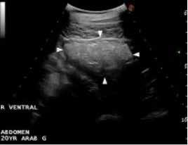
Oskie, a 20-year-old Arabian gelding, had numerous mild colic episodes over the past 2 years, which were treated by his owner, a veterinarian. But when she treated him a dozen times in 1 month, she brought him to the University of California, Davis for a thorough examination.

She suspected Oskie may have enteroliths. Consisting of sand and other undigestible items that collect in the colon, enteroliths range in size from little pebbles to bowling balls if allowed to grow long enough.

At UC Davis’ Large Animal Clinic, Oskie underwent a series of examinations with several departments, which began with a thorough work-up by faculty member Julie E. Dechant, DVM, MS, DACVS,

ACVECC, a professor of surgery and radiology at UC Davis, School of Veterinary Medicine and Stefanie Arndt, DVM, DrMedVet, an equine surgery resident.

The radiographs detected no enteroliths or sand in his system, so he was referred for an abdominal ultrasound with the Large Animal Ultrasound Service. There Betsy Vaughan, DVM, department vicechair health sciences professor of clinical, observed a long segment of severely distended and fluid-filled small intestine with poor motility. This appearance was highly suggestive of a small intestinal obstruction, although the cause of the obstruction could not be seen, so Dr. Vaughan recommended exploratory surgery.

8 Issue 12/2022 | ModernEquineVet.com ONCOLOGY
Transverse ultrasound image of Oskie’s severely distended small intestine before surgery. Transverse ultrasound image of Oskie’s normal small intestine after surgery. Images courtesy of UC Davis
Arenus Animal Health | 866-791-3344 | www.arenus.com SO INNOVATIVE... THE REAL MAGIC IS IN THE RESULTS Replace your mineral oil, electrolytes, adsorbents, or other treatment options with Assure Guard Gold-NG the only effective and easy to administer slow gelling quick relief formulation including 2 cups of ultra pure psyllium, 72 billion CFU of probiotics, prebiotics, antacids, L-glutamine, electrolytes and energy. For continued support, consider a 10 day supply of Assure Guard Gold after treatment. IT’S LIKE MAGIC Ask your Arenus Veterinary Solution Specialist how Assure Guard Gold-NG and Assure Guard Gold can help your equine patients quickly and effectively recover from the digestive upsets you treat daily. The Ultimate Digestive Aid ® Assure Guard Gold Together, Assure Guard Gold-NG And Assure Guard Gold Create A Powerhouse Against Your Most Challenging Digestive Cases. Use Assure Guard Gold-NG For Fast Relief And Maintain Excellent Digestive Health With Assure Guard Gold.

“Intestinal neoplasia, including adenocarcinoma, should be considered as a differential diagnosis in horses with intermittent colic or weight loss,” Dr. Dechant explained.

“Arabians and older horses should be considered at higher risk for intestinal neoplasia, in general, although other breeds and ages can be affected. A careful and thorough abdominal ultrasound is invaluable in identifying the intestinal lesions and assessing for signs for metastasis. Surgical resection of localized lesions that do not have obvious metastasis can restore quality of life and prolong life,” she told the Modern Equine Vet. Surgeons performed an exploratory celiotomy, an opening of the abdominal cavity, and found a mass growth blocking Oskie’s small intestine and removed a 4-foot section of the intestinal tract. The appearance

of the mass was consistent with cancer, but there was no visual evidence of it spreading to the adjacent intestine or lymph nodes.

A biopsy of the mass by the Anatomic Pathology Service confirmed it to be a jejunal adenocarcinoma, a rarely found cancer in horses. With large margins surrounding the tumor removed and no metastasis observed in his system, Oskie appeared free of the cancer following surgery.

The staff decided against chemotherapy partly due to owner preference, but also due to a lack of data that showed it would improve outcomes after a surgical resection of the jejunal ademocarcinoma, according to Dr. Dechant.

Oskie was weak, but sling assistance allowed for a smooth recovery. He was hospitalized in the Equine Intensive Care Unit for 10 days while being treated with IV fluid therapy, antibiotics, non-steroidal antiinflammatory drugs and nutritional support.

For the first 30 days, Oskie was confined to stall rest with only 2 short hand walks per day. For the second month, he was allowed access to a small run along with his hand walks. The third month of Oskie’s recovery gave him access to a large pasture by himself and continued hand walks.

At Oskie’s 3-month recheck appointment, a follow-up ultrasound showed his small intestine was back to normal compared with its dilated appearance previously. His owner reported that he has made a full recovery.

“Oskie's prognosis in the short-term is good following successful surgical resection,” Dr. Dechant explained.

“Out of the handful of published case reports, treated horses were described as doing well 12-13 months after surgical resection. In the 2006 UC Davis study by Taylor et al, 3 horses survived up to 5 years after resection for jejunal adenocarcinoma.

"Those horses did not have a necropsy to determine cause of death or degree of metastasis. Metastasis is a distinct possibility in any case, and adenocarcinoma can metastasize to other abdominal organs, regional lymph nodes and bone.” MeV

The story originally appeared on the UC Davis website and was edited for style and content. Marie Rosenthal, MS, contributed to this version.

10 Issue 12/2022 | ModernEquineVet.com
ONCOLOGY
Oskie in the Nevada Day Parade after surgery. Images courtesy of UC Davis
ON INTESTINAL NEOPLASIA IN HORSES found that Arabians were significantly overrepresented in horses diagnosed with intestinal neoplasia compared with the hospital population. A 2006 STUDY J Vet Intern Med. 2006;20(6):1429-36.

It’s just who we are.

We know horse people because we’re horse people. And like you, the love and respect we have for horses is unconditional. Everything we do is for their benefit. If we do right by the horse, we’ll never do wrong.

All
reserved. US-NON-220900029 #BeUnconditional
Copyright © 2022 Merck & Co., Inc., Rahway, NJ, USA and its affiliates.
rights
Bryant W. Craig, DVM

Surgical Treatment of Kissing Spine in a Warmblood Mare

In 2015, a Dutch Warmblood mare used for show jumping, was first evaluated by New England Equine Medical & Surgical Center, for performance-related issues, including a shortness of stride at the canter and signs of discomfort with increased weight in the saddle.

A thorough lameness evaluation was performed (in-hand, lunging and under saddle). No specific lameness was identifiable, however, a lack of impulsion at the trot and shortened canter stride were apparent.

On physical examination, the mare was reactive to palpation of the epaxial musculature in the region of her thoracolumbar spine. Radiographs of this area were ob-

tained, revealing 3 narrowed dorsal spinous processes, or kissing spine.

Impingement of the dorsal spinous processes occurs when the space between the dorsal spinous processes (DSPs) is narrowed, causing the DSPs to rub against each other during movement. It is a progressive, degenerative condition that causes moderate to severe, chronic back pain and can negatively impact a horse's athletic career. This condition is thought to be highly influenced by genetics, with a possible developmental component.

Diagnosis can be made on radiographs alone, however, additional methods such as nuclear scintigraphy or diagnostic analgesia, are often used to determine whether a horse's clinical signs are associated with the radiographic findings.

Conservative Treatment Options

Initially, conservative treatment options were fairly successful in managing this mare's back pain and allowing her to continue with her training. After the initial diagnosis, mesotherapy was performed over her thoracolumbar through pelvic region. In this procedure, 25-gauge needles are used to inject a combination of anti-inflammatory and analgesic medications into the mesoderm (middle skin layer), which contains many nerve fibers that are involved in the pain cycle. This treatment was followed with a course of methocarbamol for skeletal muscle relaxation and physiotherapy techniques. Stretching exercises were used with training techniques geared toward strengthening core muscles.

The initial response to conservative therapy was favorable, allowing her to continue training and competing.

These treatments were repeated over the course of the next two years, as needed.

By 2019, her clinical signs had escalated again, to include refusing at jumps in competition. At this time, corticosteroid injections of 3 mid-thoracic DSP spaces were performed. A significant increase in comfort and function was noted after the initial set of injections. This was repeated (4 spaces injected) in 2020, however, no improvement was noted at this time. Additional conservative treatments were tried, including extracorporeal shock wave therapy, with limited improvement. After much thought and consideration of all options, surgery was elected in April 2021.

12 Issue 12/2022 | ModernEquineVet.com TECHNICIAN UPDATE
Pre-surgical radiograph showing each space that was to be resected. Post-op radiograph, showing the end result. Images courtesy of Ms. Sochan
Arenus Animal Health | 866-791-3344 | www.arenus.com IN A WORLD OF ITS OWN Researched Respiratory Support Not all Omega 3’s are the same; use the Researched and Recommended 1500mg Purified DHA formulation. Your Clients Deserve The Best in a Non-Pharmaceutical Solution. – Using the Best Matters Researched and Proven as an aid in controlling IAD and RAO Recommended in the ACVIM Consensus Statement on Respiratory Disease (1) (2) References: [1] Nogradi N, Couetil LL, Messick J, Stochelski MA, Burgess JA. Evaluation of an Omega-3 Fatty Acid Containing Feed Supplement in the Management of Horses with Chronic Lower Airway Inflammatory Diseases. J Vet Intern Med 2015; 29:299-306. [2] Couetil LL, Cardwell J.M, Gerber V, Lavoie J.-P, Leguillette R, Richard E.A. Inflammatory Airway Disease of Horses. ACVIM Consensus Statement J of Vet Intern Med 2016; 30:503-515 p. 508-510. Check with Arenus on how Aleira can help your equine patients effectively cope with respiratory and immune function disorders. See how Aleira can help you to reduce or eliminate pharmaceutical interventions.

Dorsal Spinous Process Bone Reduction Surgery

The mare was admitted to the hospital on April 3, 2021, to be prepared for surgery on the following day.

A brief physical exam and routine pre-anesthetic blood work were performed, with all results within normal limits. Palpation of her thoracolumbar spine elicited obvious discomfort both on midline over the DSPs, as well as over the surrounding musculature.

Repeat radiographs were obtained, to track progression and for pre-operative planning. Radiographs showed narrowing of the inter-DSP spaces and significant bony remodeling (lytic and proliferative changes), associated with impingement of the DSP's. Four caudal thoracic inter-DSP spaces were severely narrowed and appeared to be touching or overriding. Two spaces cranial to these showed slightly better spacing but obvious bony remodeling, indicating that they are likely to contact each other during movement. It was decided to perform the DSP bone reduction technique on 6 spaces, the following day.

Her shoes were removed, and she was fasted overnight.

On the morning of April 4, a 14-gauge 5.25-inch IV catheter was placed in the right jugular vein. A large area of her spine was clipped in preparation for surgery. IV ceftiofur and gentamicin were administered for broad-spectrum antimicrobial coverage, as well as phenylbutazone for pain and inflammation. She was sedated, to effect, with IV xylazine and butorphanol. She was groomed and her mouth was rinsed for induction. She was induced with midazolam and ketamine. Induction was smooth and she was hoisted onto the surgery table for left lateral recumbency. She was intubated and transitioned onto isoflurane in 100% oxygen. Mechanical ventilation was elected to maintain a steady plane of anesthesia and minimize anesthetic related pulmonary atelectasis.

A constant rate infusion (CRI) of ketamine and lidocaine was administered for adjunctive analgesia and minimum alveolar concentration (MAC) sparing effect. An arterial catheter was placed for direct blood pressure monitoring as well as arterial blood gas analysis throughout anesthesia. Electrocardiograph leads were placed to monitor heart rate and rhythm throughout the procedure.

Once positioned, 9 staples were placed in a linear fashion, several inches off the midline. A pattern of 18-gauge 1.5-inch needles were then inserted at each staple mark. Next, a series of 3 lateral radiographs were taken to re-identify the spaces and plan the incision locations. The combination of staples and needles, identify each space. The needles were then re-

14 Issue 12/2022 | ModernEquineVet.com
TECHNICIAN UPDATE
The mare during her former career as a show jumper. The mare doing dressage, new career post surgery.

The only dual ingredient injectable corticosteroid approved by the FDA for use in horses

1

The link between RAPID ONSET and LONG-ACTING RELIEF of pain & inflammation

BetaVet® (betamethasone sodium phosphate and betamethasone acetate injectable suspension) is indicated for the control of pain and inflammation associated with osteoarthritis in horses. Learn more at www.betavetequine.com or call 1-800-458-0163.

Please see Brief Summary of Full Prescribing Information on the following page.

INDICATION BetaVet® (betamethasone sodium phosphate and betamethasone acetate injectable suspension) is indicated for the control of pain and inflammation associated with osteoarthritis in horses.

IMPORTANT SAFETY INFORMATION For Intra-articular (I.A.) use in Horses. CONTRAINDICATIONS BetaVet® is contraindicated in horses with hypersensitivity to betamethasone. Intra-articular injection of corticosteroids for local effect is contraindicated in the presence of septic arthritis.

WARNINGS: Do not use in horses intended for human consumption. Clinical and experimental data have demonstrated that corticosteroids administered orally or parenterally to animals may induce the first stage of parturition when administered during the last trimester of pregnancy and may precipitate premature parturition followed by dystocia, fetal death, retained placenta, and metritis. Additionally, corticosteroids administered to dogs, rabbits and rodents during pregnancy have resulted in congenital anomalies. Before use of corticosteroids in pregnant animals, the possible benefits should be weighed against potential hazards. Human Warnings: Not for use in humans. Keep this and all medications out of the reach of children. PRECAUTIONS: Corticosteroids, including BetaVet,® administered intra-articularly are systemically absorbed. Do not use in horses with acute infections. Acute moderate to severe exacerbation of pain, further loss of joint motion, fever, or malaise within several days following intra-articular injection may indicate a septic process. Because of the anti-inflammatory action of corticosteroids, signs of infection in the treated joint may be masked. Due to the potential for exacerbation of clinical signs of laminitis, glucocorticoids should be used with caution in horses with a history of laminitis, or horses

otherwise at a higher risk for laminitis. Use with caution in horses with chronic nephritis, equine pituitary pars intermedia dysfunction (PPID), and congestive heart failure. Concurrent use of other anti-inflammatory drugs, should be approached with caution. Consider appropriate wash out times prior to administering additional NSAIDs or corticosteroids. ADVERSE REACTIONS: Adverse reactions reported during a field study of 239 horses of various breeds which had been administered either BetaVet® (n=119) or a saline control (n=120) at five percent (5%) and above were: acute joint effusion and/ or local injection site swelling (within 2 days of injection), 15% BetaVet® and 13% saline control; increased lameness (within the first 5 days), 6.7% BetaVet® and 8.3% saline control; loose stool, 5.9% BetaVet® and 8.3% saline control; increased heat in joint, 2.5% BetaVet® and 5% saline control; and depression, 5.9% BetaVet® and 1.6% saline control. SHAKE WELL IMMEDIATELY BEFORE USE. For additional safety information, please see full prescribing information. CAUTION: Federal law restricts this drug to use by or on the order of a licensed veterinarian.

References: 1. Trotter GW. Intra-articular corticosteroids. In: McIlwraith CW, Trotter GW, eds. Joint Disease in the Horse. Philadelphia: W.B. Saunders; 1996; 237–256.

All trademarks are the property of American Regent, Inc. © 2021 American Regent, Inc. PP-BV-US-0035 (v2.0) 09/2021

BRIEF

SUMMARY OF PRESCRIBING

INFORMATION (Betamethasone Sodium Phosphate and Betamethasone Acetate Injectable Suspension) 6 mg betamethasone per mL For Intra-Articular (I.A.) Use in Horses

CAUTION: Federal law restricts this drug to use by or on the order of a licensed veterinarian.

INDICATION: BetaVet® is indicated for the control of pain and inflammation associated with osteoarthritis in horses.

DOSAGE AND ADMINISTRATION: Shake well immediately before use.

CONTRAINDICATIONS: BetaVet® is contraindicated in horses with hypersensitivity to betamethasone. Intra-articular injection of corticosteroids for local effect is contraindicated in the presence of septic arthritis.

WARNINGS: Do not use in horses intended for human consumption. Clinical and experimental data have demonstrated that corticosteroids administered orally or parenterally to animals may induce the first stage of parturition when administered during the last trimester of pregnancy and may precipitate premature parturition followed by dystocia, fetal death, retained placenta, and metritis. Additionally, corticosteroids administered to dogs, rabbits and rodents during pregnancy have resulted in cleft palate in offspring. Corticosteroids administered to dogs during pregnancy have also resulted in other congenital anomalies including deformed forelegs, phocomelia and anasarca. Therefore, before use of corticosteroids in pregnant animals, the possible benefits to the pregnant animal should be weighed against potential hazards to its developing embryo or fetus. Human Warnings: Not for use in humans. For use in animals only. Keep this and all medications out of the reach of children. Consult a physician in the case of accidental human exposure.

PRECAUTIONS: Corticosteroids, including BetaVet®, administered intra-articularly are systemically absorbed. Do not use in horses with acute infections. Acute moderate to severe exacerbation of pain, further loss of joint motion, fever, or malaise within several days following intra-articular injection may indicate a septic process. Because of the anti-inflammatory action of corticosteroids, signs of infection in the treated joint may be masked. Appropriate examination of joint fluid is necessary to exclude a septic process. If a bacterial infection is present, appropriate antibacterial therapy should be instituted immediately. Additional doses of corticosteroids should not be administered until joint sepsis has been definitively ruled out. Due to the potential for exacerbation of clinical signs of laminitis, glucocorticoids should be used with caution in horses with a history of laminitis, or horses otherwise at a higher risk for laminitis. Use with caution in horses with chronic nephritis, equine pituitary pars intermedia dysfunction (PPID), and congestive heart failure. Concurrent use of other anti-inflammatory drugs, such as NSAIDs or other corticosteroids, should be approached with caution. Due to the potential for systemic exposure, concomitant use of NSAIDs and corticosteroids may increase the risk of gastrointestinal, renal, and other toxicity. Consider appropriate wash out times prior to administering additional NSAIDs or corticosteroids.

ADVERSE REACTIONS: Adverse reactions reported during a field study of 239 horses of various breeds which had been administered either BetaVet® (n=119) or a saline control (n=120) were: acute joint effusion and/or local injection site swelling (within 2 days of injection), 15% BetaVet® and 13% saline control; increased lameness (within the first 5 days), 6.7% BetaVet® and 8.3% saline control; loose stool, 5.9% BetaVet® and 8.3% saline control; increased heat in joint, 2.5% BetaVet® and 5% saline control; depression, 5.9% BetaVet® and 1.6% saline control; agitation/anxiety, 4.2% BetaVet® and 2.5% saline control; delayed swelling of treated joint (5 or more days after injection), 2.5% BetaVet® and 3.3% saline control; inappetance, 3.4% BetaVet® and 2.5% saline control; dry stool, 1.7% BetaVet® and 0% saline control; excessive sweating, 0.8% BetaVet® and 0% saline control; acute non-weight bearing lameness, 0.8% BetaVet®and 0% saline control; and laminitis, 0.8% BetaVet® and 0% saline control.

CLINICAL PHARMACOLOGY: Betamethasone is a potent glucocorticoid steroid with anti-inflammatory and immunosuppressive properties. Depending upon their physico-chemical properties, drugs administered intra-articularly may enter the general circulation because the synovial joint cavity is in direct equilibrium with the surrounding blood supply. After the intra-articular administration of 9 mg BetaVet® in horses, there were quantifiable concentrations of betamethasone (above 1.0 ng/mL) in the plasma.

EFFECTIVENESS: A negative control, randomized, masked field study provided data to evaluate the effectiveness of BetaVet® administered at 1.5 mL (9 mg betamethasone) once intra-articularly for the control of pain and inflammation associated with osteoarthritis in horses. Clinical success was defined as improvement in one lameness grade according to the AAEP lameness scoring system on Day 5 following treatment. The success rate for horses in the BetaVet® group was statistically significantly different (p=0.0061) than that in the saline group, with success rates of 75.73% and 52.52%, respectively (back-transformed from the logistic regression).

ANIMAL SAFETY: A 3-week target animal safety (TAS) study was conducted to evaluate the safety of BetaVet® in mature, healthy horses. Treatment groups included a control (isotonic saline at a volume equivalent to the 4x group); 1X (0.0225 mg betamethasone per pound bodyweight; BetaVet®); 2X (0.045 mg betamethasone per pound bodyweight; BetaVet®) and 4X (0.09 mg betamethasone per pound bodyweight; BetaVet®). Treatments were administered by intra-articular injection into the left middle carpal joint once every 5-days for 3 treatments. Injection site reactions were the most common observations in all treatment groups. Injection site reactions were observed within 1 hour of dosing and included swelling at the injection site, lameness/stiffness of the left front limb, and flexing the left front knee at rest. The injection site reactions ranged from slight swelling (in many horses on multiple days in all treatment groups) to excessive fluid with swelling, pain, and lameness (4x group only). Injection site reactions were observed most commonly on treatment days, and generally decreased in number and severity over subsequent days. The incidence of injection site reactions increased after the second and third injection (number of abnormalities noted on day 10 > day 5 > day 0). In the BetaVet® treated groups the number and severity of the injection site reactions were dose dependent. The 4X BetaVet® group had the highest overall incidence of and severity of injection site reactions, which included heat, swelling, pain, bleeding, and holding the limb up at rest. The control group and 4X group (which received similar injection volumes) had a similar incidence of injection site reactions; however, the severity of reactions was greater in the 4X group. Absolute neutrophils were statistically significantly higher in the BetaVet® treated groups as compared to the control group. Trends toward a decrease in lymphocytes and eosinophils, and an increase in monocytes were identified in the BetaVet® treated groups after the initial dose of BetaVet®. Individual animal values for white blood cells generally remained within the reference range. BetaVet® treated horses also had a trend toward increased blood glucose after the initial dose. Some individual animals showed mild increases in blood glucose above the reference range.

SHAKE WELL BEFORE USING NADA 141-418, Approved by FDA

For customer care or to obtain product information visit www.betavetequine.com or call 1-800-458-0163.

For customer care or to obtain product information visit www.betavetequine.com or call 1-800-458-0163.

To report an adverse event please contact American Regent Animal Health at 1-888-354-4857 or email pv@americanregent.com.

To report an adverse event please contact American Regent Animal Health at (800) 734-9236 or email pv@americanregent.com.

A Division of American Regent, Inc. 5 Ramsey Rd. | Shirley, NY 11967

PP-BV-US-0027_FullPg_Ad.indd 2 5/17/2019 9:15:15 AM

moved; however, the staples were left as markers. The back was sterilely prepared and draped for surgery.

The 6 spaces were approached through 2 separate incisions, to minimize post-operative incisional complications.

Dissection included the supraspinous ligament, interspinous ligament and adjacent musculature, carefully exposing the affected DSP's. Local anesthesia (~10 ml per site of 2% mepivacaine) was then injected at each affected, inter-DSP space, targeting the surrounding network of spinal nerves. The cranial aspect of each affected, over-riding DSP, was carefully resected with a single action rongeur, until each space was widened satisfactorily. The resected edge of bone was then smoothed down with a bone rasp, ensuring that no sharp edges remained. Each space was then lavaged thoroughly with a solution of 0.9% NaCl, with 100 mg gentamicin added per liter. The incisions were closed in 3 layers, with a sterile stent (surgical towel) sutured securely over both incisions. Surgical time concluded at 2 hours with a total anesthetic time of 2 hours and 30 minutes.

During closure, the mare was weaned from her ketamine / lidocaine CRI and her ventilation settings were decreased to encourage spontaneous ventilation. A dose of butorphanol (5 mg IV) was given for additional pain management throughout recovery. Once in the recovery stall, she was sedated with xylazine (100 mg) plus acepromazine (40 mg) intravenously. She was then extubated and both nares checked for adequate air flow. Phenylephrine (0.1%) nasal spray was administered through each nostril, to decrease nasal edema. Within 15 minutes, nystagmus was visible, and the mare made her first uncoordinated attempts to sit sternal. She was given an additional dose of xylazine, and a head rope was used to keep her quiet until she was more prepared to stand. She rested for about 30 more minutes before standing easily on her first attempt.

Post-operative Care in Hospital

Once back in her stall, she was eventually started back on feed and closely monitored for post-operative pain. An additional dose of IV phenylbutazone was given that evening, as mild-moderate discomfort was evident. She remained relatively sore with a decreased appetite that first evening, however, was much more comfortable by the following morning. She was maintained on the initial dosing of ceftiofur BID, plus gentamicin and phenylbutazone SID. Preventative doses of Gastrogard (omeprazole paste) were administered daily. Short, hand walks out to graze were introduced. Her overall comfort

Teaching Points

Although kissing spine used to be a debilitating and career-ending condition, several surgical techniques have been developed to treat cases refractory to conservative management.

These techniques range from the minimally invasive interspinous ligament desmotomy, performed under standing sedation to resection of alternating dorsal spinous processes or subtotal (cranial wedge) ostectomy.

Each of these surgical techniques have advantages and disadvantages, leaving the selection of the best technique to perform in the hands of each surgeon's experience.

In our experience at New England Equine Medical & Surgical Center, the dorsal spinous process (DSP) bone reduction technique is highly effective at halting the cycle of chronic back pain and enabling these horses to return to their athletic careers.

Following this case through from initial onset of clinical signs to resolution and return to function, has been an extremely rewarding endeavor.

and movement improved gradually over the next several days and her anti-inflammatory dosing was decreased. 4 days after surgery, post-operative radiographs were obtained, confirming successful widening of the 6 involved spaces with no apparent complications. Her last doses of IV antibiotics were given, and she was discharged that same afternoon.

Rehabilitation at Home

In her first week post discharge, oral antibiotics (sulfamethoxazole and trimethoprim BID) and phenylbutazone (SID) were continued for 4 additional days. The incision (stent covered) was monitored daily, and she was kept stalled with twice daily hand walks. Initially, her walks consisted mostly of hand-grazing, with more walking added as her comfort increased. Hand grazing and carrot-stretching exercises encouraged stretching of her topline. As her walking and stretching amounts increased and phenylbutazone was discontinued, mild signs of discomfort were noticed intermittently. Methocarbamol was used in the next several weeks, to treat the muscle

ModernEquineVet.com | Issue 12/2022 17
TECHNICIAN UPDATE
Shutterstock/nelelena

soreness related to these exercises. The stent and skin staples were removed at 12 days and 14 days postop, respectively. After staple removal, turnout was re-introduced in a small medical paddock with supervision. Light sedation was used to keep her quiet (trazodone) for the first several days.

At 1-month post-op, long-lining was introduced at a walk for 10-15 minutes daily, avoiding the use of a surcingle. At 2 months post-op, working over ground poles at a walk and brief trot sets on the long lines were started and gradually increased. Turnout in a normal sized paddock was also started at this time. At her third post-operative month, she was allowed to start lunging at a walk and trot. The duration of the trot work was gradually increased until she was deemed fit enough to begin light canter sets. Lunging proved helpful to gauge her comfort level. She seemed noticeably more comfortable at both trot and canter, with a longer and more fluid stride.

For more information:

Walmsley

J. 2002;34(1):23-28.

Return to Riding

At about 4 months post-op, the mare was re-evaluated at NEEMSC, and another series of radiographs were obtained for comparison, showing excellent healing without complication. The surgical sites had healed with minimal scarring, and she had reasonable muscling over her back. There was no pain elicited on palpation of her thoracolumbar spine, in contrast to the severe reactivity previously observed. Following this evaluation, she was lunged under tack once, then riding resumed in the following days. She had shown no sensitivity or reluctance to saddling, mounting or being ridden. She was started into basic flat work with a program geared toward rebuilding cardiovascular fitness and an emphasis on core strength. Several months later, she started dressage training and has recently been working toward third level movements.

About the Author

Aurora Sochan, CVT, VTS-EVN, has worked as a veterinary technician for the past 20 years in both small animal and equine veterinary medicine. She obtained her CVT in 2010 while working as a surgery/anesthesia technician in New Hampshire. As happy as she was in this setting, her own horse requiring colic surgery in 2012 sparked her interest in returning to her roots of equine medicine and advancing her skill set there.

MeV

She has been employed by New England Equine Medical & Surgical Center for the past decade, working in the areas of anesthesia, surgery, emergency and critical care, diagnostic imaging and sports medicine.

In 2021, she obtained her veterinary technician specialty in equine veterinary nursing. She enjoys spending a lot of time at the hospital teaching externs, interns and mentoring other technicians. She also assists with the equine skill labs for the veterinary technician program at the University of New Hampshire and am looking forward to helping the New Hampshire Veterinary Technician Association bring more equine CE to our area.

https://beva.onlinelibrary.wiley.com/doi/abs/10.2746/042516402776181259?sid=nlm%3Apubmed

J. 2014;46(3):339-344.

https://beva.onlinelibrary.wiley.com/doi/10.1111/evj.12215

18 Issue 12/2022 | ModernEquineVet.com
UPDATE
TECHNICIAN
JP, Petursson F, Wynberg F, et al. Impingement of the dorsal spinous processes in two hundred and fifteen horses: case selection, surgical technique and results. Equine Vet Jacklin BD, Minshull GJ, Wright IM. A new technique for subtotal (cranial wedge) ostectomy in the Treatment of Impinging / Overriding Dorsal Spinous Processes: Description of Technique and Outcome of 25 Cases. Equine Vet A conformation shot of her post surgery & rehab.

What’s the Reliability of Inflammatory Biomarker Testing After Penicillin G Injections?

Repeated intramuscular (IM) injections of procaine penicillin G may add insult to injury—resulting in an acute phase response (APR) that could make it more difficult to interpret some biomarker testing, according to a recent study out of the Universities of Illinois and Arizona.

Several acute phase proteins (APP), whose concentrations in the blood increase or decrease in response to inflammation, are often used to detect an inflammatory response.

“Serial measurement of APP concentrations in blood is routinely performed in equine practice to rapidly detect inflammation, monitor disease progression, and evaluate response to therapy,” the researchers wrote. “Since the APR serves as part of the innate immune response to inflammatory stimuli, increased concentrations of APP can be seen with infectious and noninfectious diseases, trauma, stress, and neoplasia.”

Some procedures, such as castrations and vaccination can also cause a similar inflammatory response.

In this longitudinal study, the researchers wanted to know if serial IM injections of penicillin G, which can cause swelling and soreness at the injection site, over 5 days could affect acute phase protein concentrations.

“Since other causes of tissue injury result in the induction of an APR, it is plausible that an increase in APP concentrations could occur following the administration of an irritating substance, such as PPG [penicillin G].

“Since the measurement of APP is increasingly prevalent, it is important to identify whether changes in APP could be influenced by common treatment interventions,” they wrote.

They administered procaine penicillin G to 6

healthy horses, twice a day for 5 days. Then they measured plasma fibrinogen, serum amyloid A (SAA), haptoglobin, creatine kinase (KC) and aspartate aminotransferase (AST) every day for 5 days before the first injection, when giving the injection and for 4 days after giving the final injection.

They found:

1. Creatine kinase was increased over baseline on days 1-6

2. AST was increased above baseline on days 2-7 and 10.

3. Increased fibrinogen was noted over baseline on days 6-8 and 10.

4. Clinically significant increases in SAA were noted in half the horses over several days, but, due to the wide individual variability, SAA was only statistically significantly increased above baseline on Day 6.

5. There was no change in haptoglobin.

There were limitations to this study, they said, mostly the small sample size, which may be 1 reason why they did not see significant differences in SAA and fibrinogen. Still, the researchers urged veterinarians to consider a possible inflammatory response to treatment when interpreting the results of acute phase proteins testing.

“The results of this study indicate that tissue injury caused by repeated IM PPG injections may lead to important changes in plasma concentrations of APP. The findings of this study suggest that APP concentrations in healthy adult horses can be influenced by common veterinary interventions that result in local tissue injury, and further studies are needed to evaluate the effects in ill horses,” the researchers wrote.

MeV

ModernEquineVet.com | Issue 12/2022 19 NEWS
NOTES
https://doi.org/10.1111/evj.13886 https://beva.onlinelibrary.wiley.com/doi/10.1111/evj.13886
more information:
Gordon DL, Foreman JH, Connolly SL, et al. Acute phase protein concentrations following serial procaine penicillin G injections in horses.
Equine Vet J. 2022 Oct. 6.
For
Tissue injury caused by repeated intramuscular injections of penicillin G may lead to important changes in plasma concentrations of acute phase proteins.

How to Reduce Accounts Receivable

Veterinary medicine is not just a calling, it’s a business, and survival of your practice depends on developing an effective accounts receivable culture, said Linda Hagerman, DVM, of Tacoma Equine Hospital in Washington, at the AAEP Annual Convention 2022.

Although it is difficult to say no to a horse in need, a veterinary practice that is not receiving regular income will not stay in business to help any horses.

“It's not taboo anymore to talk about your veterinary practice being a business,” Dr. Hagerman said. Veterinarians need to start thinking about developing a culture that looks to have lower accounts receivable and better cash flow early in their careers and at every appointment.

“It's really a matter of survival. I feel like our success depends more on our business skills than our veterinary skills,” she said.

Dr. Hagerman offered a number of tips to enable practices to get paid for their services. “You need to use logistical procedural tactics in your practice that you do over and over again so it becomes a habit and then it runs itself,” she said. “So how do we nurse this culture?”

Talk about collecting payment at the time of service at every team meeting with the entire staff.

Dr. Hagerman suggested a culture of effective accounts receivable could begin with your practice’s receptionist. When they answer the phone to schedule a regular appointment or to answer a call for an emergency, “they give an estimate for how much that's going to cost and they get a verbal okay from the client that they'll pay it before they even put it on the books.”

When veterinarians go out on these calls, if additional services are required, they need to adjust the estimate and get the client’s approval for the additional cost before continuing, she advised. “If you go out to an appointment and you want to add a fecal, you need to pull a tooth, stop what you're doing, adjust your estimate, talk to the client and get the verbal okay that that's still all right to keep going,” Dr. Hagerman explained.

Dr. Hagerman said that they “hold the doctors ac-

countable.” Veterinarians do not get an emergency fee if the client does not pay that emergency fee within 30 days, she said. “That’s how we hold our doctors accountable,” she added.

While a successful accounts receivable culture involves the entire staff, Dr. Hagerman advised having one person dedicated to it. “She collects the money on accounts, runs the credit cards, manages the payment plans, etcetera,” Dr. Hagerman said of her practice. She suggested that since younger practitioners have a debt load, “they're more motivated to collect money at time of service. So let them define and develop that part of your culture.”

If there are several established veterinary practices located closer to a potential new client, spend time talking to the potential new client so you can figure out why they are calling you instead of going to one of them, to see if there is a reason to be wary.

Also, dedicate an entire day to the business, even if that means declining appointments for that day. Other practical advice she offered is never take a check from a new client.

Continue the routine practice developed during the COVID-19 pandemic of putting clients’ credit cards on file. Using credit cards on file substantially cut the days outstanding to collection, she noted.

She also suggested billing cycles running from the 16th of a month until the 15th of the next month “so even if you're late at getting your statements out, it's there at the end of the month sitting on your client's desk waiting to be paid. And we send our statements on colored paper so it stands out in the stack.”

A good way to establish your reputation at expecting client payment at time of service is to be relentless at collecting: knock on doors, text and email frequently, and take it to small claims court for significant amounts.

“You know, in Washington state, legally you can communicate once a day with a delinquent client without being guilty of harassment,” she said. “And there's a reason I know that,” she quipped.

20 Issue 12/2022 | ModernEquineVet.com PRACTICE
MANAGEMENT
MeV Shutterstock/garagestock
ALL OTHERS FALL SHORT. Arenus Animal Health | 866-791-3344 | www.arenus.com Ask one of our Veterinary Solutions Specialists how Assure Guard Gold and the new Assure Advisor Mobile App can help you guide your patients to improve digestive health. The Ultimate Digestive Aid ® Assure Guard Gold The Trusted Solution of Equine Veterinary Professionals. Researched and Patented for the treatment of Recurrent Colic, Chronic Diarrhea, Dysmotility and Ulcers.

7 Essential Genes Identified in Successful Racehorses

An international research team identified a critical set of 7 genes linked to successful racehorses.

“This is the first time this set of genes has been linked to the success of racing breeds. Two of the genes were previously identified for performance in Thoroughbreds and Arabians, but the approach we took was to ask what genes were common to all racing breeds and different from non-racing breeds,” said Emmeline Hill, PhD, a professor at the University College Dublin and the lead scientist on the project.

Scientists from Asia, Europe, North America and Ireland compared the genomes of Thoroughbred, Arabian and Mongolian racehorses with horses bred for other sports and leisure and pinpointed a set of genes that play a significant role in muscle, metabolism and neurobiology.

These genes were found to be clearly different in racing horses and were common to all racing breeds compared with those animals from non-racing breeds.

“Since the discovery of the ‘Speed Gene’ in 2009, we have generated genetic data for thousands of Thoroughbreds and horses from other breeds,” said Dr. Hill, who is also the chief science officer at Plusvital, an Irish equine science company, which participated in the study.

“The very large number of horse breeds developed over the last hundreds of years all over the world have been carefully shaped by selective breeding for different traits desired by breeders. This has led to tall horses, small horses, powerful draft horses, useful riding horses and fast racing horses.

“We have discovered a set of genes common to racing horses, but not all horses within a racing breed have the advantageous gene version, so these findings will be useful to identify the most suitable individuals within a breed for racing or for breeding,” she explained.

The research included the collection of hair samples from 100 horses owned by the champion Ajnai Sharga Horse Racing Team at their breeding farm in Khentii province, Mongolia, the birthplace of Genghis Khan.

Using the DNA from these Mongolian racing horses, along with Thoroughbred and racing Arabian horses, the scientists compared the genomes of these breeds with 21 other non-racing breeds, such as Clydesdale, Connemara pony, Hanoverian, Morgan, Norwegian Fjord, Paint, Shetland, Shire and identified 7 essential genes for racing. These genes play a role in muscle, metabolism and neurobiological functions, and appear to be central to the ability to race among horse breeds

Among the top genes was NTM, which functions in brain development and influences learning and memory. This gene was selected during the horse domestication process, and in Thoroughbred racehorses influences whether a horse ever races.

The finding suggests that equine neurological systems were influenced by both natural and artificial selection associated with domestication and may have overlapped with adaptive traits that are required for racing, suggested David MacHugh, PhD, a professor at University College, and co-author of the study.

“Although racing is a multifactorial trait, with management and training having a considerable influence on the success of a racehorse, this study provides good evidence for major-effect genes shaping the racing trait in horse populations,” he said.

The researchers used gene expression data from skeletal muscle from Thoroughbred horses to investigate if the genes they had identified were involved in the muscle response to exercise and training.

“By integrating these two different data sets we finetuned the list of racing genes to those that were most biologically relevant to racing. One of these genes was MYLK2 which is required for muscle contraction. In humans, MYLK2 is associated with exercise-induced muscle damage,” Dr. Hill said.

22 Issue 12/2022 | ModernEquineVet.com NEWS NOTES
https://www.nature.com/articles/s42003-022-04206-x For more information:
Han H, McGivney BA, Lucy Allen L, et al. Common protein-coding variants influence the racing phenotype in galloping racehorse breeds.
Commun Biol. 2022;5(1) DOI: 10.1038/s42003-022-04206-x
Shutterstock/dikkenss
Arenus Animal Health | 866-791-3344 | www.arenus.com
Ask your Veterinary Solution Specialist how Releira can take your patient’s breeding program to the next level. REDUCE THE STRUGGLE. The only product researched to improve conception rates in difficult to breed mares. Not only reduce the cycles to conception for your difficult mares but improve semen quality in those stallions with morphology and motility issues. Research proven to improve cognitive abilities in the newborn foal. Take your breeding program to the next level with this research-backed Omega-3 formula providing reproductive health benefits for mares, stallions, and foals. Releira addresses common fertility issues with a readily absorbed, vegetarian algae source.
LEAVE YOUR BREEDING PROGRAM UP TO CUPID
References: [1] Brendemuehl JP, Kopp K, Altman J. Uterine Inflammatory Response to Frozen Semen is attenuated by Oral Supplementation of a Blend of Omega-3 Fatty Acids (Algal DHA and Flax Seed) in Susceptible and Resistant Mares. Submitted to Theriogenology. [2] Brendemuehl JP, Altman J, Kopp K. Influence of dietary algal N-3 fatty acids on breeding induced inflammation and endometrial cytokine expression in mares bred with frozen semen. J Equine Vet Sci. 2014; 34(1): 123-124. [3] A.M. Adkin, A.V. Muniz, C.J. Mortensen, L.K. Warren. Maternal fatty acid supplementation influences memory and learning ability in yearling and 2-year-old horses. J Equine Vet Sci. 2015; 35: 418-436. [4] A.M. Adkin, L.K. Warren, C.J. Mortensen, J. Kivipelto. Maternal supplementation of docosahexaenoic acid and its effect on fatty acid transfer to the foal (longitudinal study). Equine Vet Sci. 2013; 33: 321-329. [5] A.M. Adkin, L.K. Warren, and C.A. McCall. Effect of maternal docosahexaenoic acid supplementation on behavior and cognitive development in nursing foals. J Equine Vet Sci. 2013; 33: 321-399.
DON’T
Reach your veterinarians wherever they are, whenever they want. FOR ADVERTISING RATES AND INFORMATION, EMAIL For advertising rates and information, email ModernEquineVet@gmail.com Equine Vet The Modern

Turn static files into dynamic content formats.

Create a flipbook
Issuu converts static files into: digital portfolios, online yearbooks, online catalogs, digital photo albums and more. Sign up and create your flipbook.