Horse Report September 2025 digital editionF

Page 1


* Equine Health & Nutrition

* Equine Health & Nutrition

- Equine bodywork

- Equine bodywork

-- Phytoestrogens and fertility

- Diets for lactating mares

- Diets for lactating mares

- Consult with a horse vet online

- Consult with a horse vet online

-- Equicubes & feed supplementation

- Foaling monitors

- Foaling monitors

- Herbs for reproductive support

- Herbs for reproductive support

- Mares and ovary tumours

- Mares and ovary tumours

- Equine Herpes - Equine Herpes

- Immunoglobulin levels in foals

- Immunoglobulin levels in foals

- Hoof supplements - Hoof supplements

- Ulcer Treatments

- Ulcer Treatments

* Show photos

* Show photos

* Training Tips with Tanja Kraus

* Training Tips with Tanja Kraus

Photo

• 100% dried, cooked & ground coconut

• Superior amino acids compared to grain

• May be beneficial for conditioning, weight gain, coat shine and hoof health

• Is a low NSC, high energy feed

• Great source of fibre, protein and oil

• Chemical and GMO free, aflatoxin tested

• Fed around the world for over 30 years

• Scientifically balanced formula rich in vitamins, minerals, amino acids, enzymes and essential fatty acids

• Helps keep horses in peak condition

• Suitable for competition

• Available in 10kg, 6kg and 3kg

The Secret is out!

Vet-formulated for joint protection & mobility Combines Rosehip, MSM, Glucosamine, Chondroitin, Green-Lipped Mussel & Turmeric Results in as little as 2–3 weeks No fillers – just powerful therapeutic support

"This blend is absolutely mind-blowing. All of the therapeutic ingredients that horse owners once had to use separately are now in one powerful, practitioner strength formula."

The Horse Report

The power of equine bodywork

Equine bodywork is more than a luxury—it is an essential component of whole-horse wellness.

As horses navigate training demands, performance stress, environmental factors, and natural aging, their bodies accumulate tension, compensatory patterns, and subtle imbalances that can interfere with movement, behavior, and overall health.

Bodywork offers a hands-on, therapeutic approach to help restore comfort, function, and balance in the horse’s body. It goes far beyond surface-level massage, targeting the deeper layers of fascia, musculature, and connective tissue while also promoting systemic healing through circulation, lymph flow, and nervous system regulation.

Whether applied for general wellness, injury recovery, performance enhancement, or emotional support, equine bodywork creates space for the body to reset—naturally and non-invasively.

The benefits of equine bodywork are numerous.

- Enhances performance and

athletic recovery

Bodywork helps prevent injuries, reduces recovery time, and supports muscle function— making it invaluable for sport and performance horses.

- Improves mobility and flexibility

Releases muscle tension and fascial restrictions that limit range of motion, allowing for freer,

- Relieves pain and discomfort

By addressing sore or compensating areas, bodywork helps alleviate discomfort caused by poor saddle fit, conformation issues, overuse, or imbalance.

- Supports circulation and detoxification

Stimulates blood and lymphatic

flow, helping the body remove metabolic waste and deliver vital nutrients to healing tissues.

- Balances the nervous system

Promotes a parasympathetic state, helping horses move from stress and tension into relaxation and healing.

- Enhances behavioral and emotional wellbeing

Many horses store emotional trauma in their bodies.

Bodywork helps release this stored tension, often leading to dramatic improvements in behavior, focus, and trust.

- Identifies and addresses subtle imbalances early

Regular bodywork can help detect physical or postural issues before they develop into more serious problems—making it a powerful tool for preventative care.

- Deepens connection and trust

The gentle, intentional nature of bodywork builds a stronger bond between horse and human, fostering a sense of safety, communication, and mutual respect.

more balanced movement.

The Horse Report

Do phytoestrogens affect fertility?

Do phytoestrogens affect mMare fertility?

In a word, yes, phytoestrogens affect mare fertility.

Both industry observation and published science support this. But we need to be very careful not to just throw all phytoestrogens (which are simply estrogen like compounds found in plants) into the one bucket.

There are many different phytoestrogens, but they don’t all affect fertility.

Some, like coumestrol, mainly found in alfalfa/lucerne and clover have quite dramatic negative effects on fertility in multiple animal species, including horses.

Others, like the isoflavones found in clover and soybean are not documented anywhere (that we can find) as having negative effects on fertility in mares.

A few things to consider There is quite a lot documented on loss of fertility in sheep grazing pastures dominated by isoflavone rich clover. But we need to consider several things:

1. Asheep’s gastrointestinal

physiology is dramatically different to a horse and likely affects how phytoestrogens are absorbed and metabolised.

2. Asheep’s reproductive tract physiology is also very different, meaning phytoestrogens are unlikely to affect fertility in the two animals species in the same way; and

3. The sheep were consuming isoflavone rich forage. i.e. the ingredient containing the isoflavone was the major ingre-

dient in the diet. Consider ingredients like soybean in a horse’s diet.

Yes, they contain isoflavones, but they are only fed as a small percentage of the total daily diet. So actual isoflavone intake is minimal, so negative intakes on fertility are far less likely.

Not all phytoestrogens are the same

When looking at phytoestrogens in feed ingredients you may be

using and considering their potential impact on fertility, keep in mind phytoestrogens from different ingredients aren’t the same.

And that the amount of an ingredient you feed per day will affect total phytoestrogen intake. Also remember that almost every feedstuff you feed can potentially contain phytoestrogen, even grasses!

The tricky thing with forage phytoestrogens is that both the plant variety and the environmental conditions it is grown in will affect its phytoestrogen content.

For example, clover or lucerne that is attacked by aphids will have a higher coumestrol content. Or nitrogen deficiency in clover can have double its normal isoflavone content.

If your mares are experiencing fertility issues it is certainly worth considering phytoestrogens, but as always, look at your basic nutrition first to make sure your mares’most important nutrient needs are met.

If you do think phytoestrogens may be to blame, from my reading I would suspect your forages first, especially if you are using clover or lucerne/alfalfa.

The Rosehip Supplement

Loved by Horses and Riders

Rose-Hip Vital Equine is not just for horses. Our wholly natural daily multivitamin is made with only one ingredient, pure Rosa Canina rosehips,

If your mares are experiencing fertility issues it is certainly worth considering phytoestrogens, but as always, look at your basic nutrition first.

The Horse Report

Feeding a balanced diet for lactating mares

Getting a lactating mare’s feeding right is critical to ensure she can provide milk for her foal and provide the required nutrients for a foetus if she is pregnant again. Abalanced diet is also essential to keep the mare healthy so that she can continue to reproduce or go back into work after her foal at foot is weaned.

As for all horses, a mare’s requirement for energy (calories), protein, vitamins and minerals must be met. These nutrients and the role they play in a lactating mare’s diet are looked at below.

Energy

Alactating mare’s requirement for energy is double that needed by a mature idle horse.

Not feeding a lactating mare enough energy means she will lose weight. If she falls below a condition score of 5 (on the Henneke 1 to 9 scale), it may make it difficult to get her back in foal and could also reduce the amount of milk she produces for her foal.

If she is allowed to exceed a condition score of 7 her milk production may fall and it also puts unnecessary pressure on her joints and hooves which will cause pain and lameness for the mare. The basis of a mare’s energy intake should be provided by pasture and/or hay. If pasture and/or hay is not enough to maintain body condition, high energy feeds like cooked cereal grains, high energy fibres and oils can be added to the diet. To manage energy intake, you should condition score your lactating mares regularly and adjust their energy intake up if they are losing weight and down if they are gaining weight.

Protein and amino acids

Lactating mares need good quality protein to enable them to provide milk for the foal

and to maintain their own muscle mass. Not enough protein in a lactating mare’s diet will cause milk production to fall and the mare will begin to lose muscle.

The majority of the protein in the mare’s diet should come from the pasture and/or hay the diet is based on.

When there is not enough protein in the pasture/hay to meet a mare’s requirements, good quality protein sources that are rich in essential amino acids such as soybean, lupins, faba bean, canola meal and lucerne or feeds based on these ingredients should be used to meet requirements. Poor quality sources of protein such as cottonseed meal should always be avoided in lactating mare diets.

Because the NRC 2007 lysine requirements (used by FeedXL.com) are now quite high many of you will find that lysine requirements are quite difficult to meet, especially for mares grazing lower quality pastures including the sub-tropical C4 Type pastures.

I find the best way to help with meeting lysine requirements is to first add some lucerne hay to the diet to replace some of

the lower quality forage she is eating. Then with this better source of lysine coming from the forage base, you will find it a lot easier to meet lysine requirements using high-quality feeds.

Vitamins and minerals

Vitamins are extremely important in the lactating mare’s diet and have an impact on the mare’s health and fertility as well as the foal’s growth, muscle development and immune function.

Mares with access to green pasture will have the majority of their vitamin requirements met by the pasture alone.

Mares with no access to pasture will generally need to be supplemented with vitamins.

Alactating mare has massive requirements for minerals, and particularly for the macro-minerals calcium and phosphorous, which are found in large quantities in milk. It is also important to meet her requirements for trace minerals as they are required to ensure the structural soundness of her future foals.

 Continued page 6

Keep your mare healthy so she can provide milk for her foal.

Equine

The Horse Report

Which is the best feed for your mare?

 From page 6

Not meeting the lactating mare’s requirements for minerals will mean her body reserves are depleted, leaving her susceptible to disease and lameness.

Mineral deficiency can also reduce her milk production and fertility and can affect the soundness of future foals.

Alactating mare’s mineral requirements will be partially met by the forage/hay in her diet.

However, it is unlikely a mare’s full mineral requirements will be met, so some supplementation will almost certainly be necessary.

Vitamins and minerals can be supplemented in the form of a concentrated vitamin/mineral supplement or in the form of a complete feed, depending on your preference for style of feeding and how much feed your mare needs to maintain body condition.

If your mare is an easy keeper, using a concentrated vitamin/mineral supplement will allow you to provide the vitamins and minerals she needs without providing additional calories that could make her gain unneeded weight.

Well formulated balancer pellets are particularly useful for these mares.

On the other hand, if your mare is a hard keeper, it would be easiest to use a complete feed that provides the mare with additional calories and protein as well as providing the vitamins and minerals she needs.

Which is the best feed for your mare?

When choosing the right feed and developing a feeding program for your lactating mare(s) you need to consider the following:

Do you have pasture available?

What sort of pasture do you have and what is its quality like?

Will your mare maintain bodyweight on pasture alone, or do you need to feed additional feed for her to maintain bodyweight?

What hay do you have available and what is its quality like?

Is your mare an easy or hard keeper? Does she need to gain, maintain, or lose weight?

What stage of lactation is she in?

Do you prefer to feed a complete feed or mix your own feeds using supplements?

The answers to these questions will determine whether a complete feed or a supplement is best for your mare and will also help you determine what amount of feed your mare needs.

If your mare is a hard keeper or if you have very little or only poor-quality pasture available a complete feed will most likely be needed.

If you have good quality pasture and/or your mare is an easy keeper, you may find a vitamin/mineral supplement is all that is required.

Regardless of what you choose to feed, ensure your lactating mare always has free access to forage in the form of pasture

or hay, a salt lick and very clean, fresh water.

FeedXLwill help you put together a balanced diet that meets the energy, protein, lysine, mineral and vitamin needs of your lactating mare to ensure that she remains healthy and productive during this phase of her reproductive cycle.

And just as importantly, FeedXLwill allow you to accurately create diets for your growing foal.

Agrowing horse’s requirements are constantly changing and the future soundness and health of your foal really depends on you getting nutrition right in the formative years of its life.

Investing a little time now on a good diet for your mare and growing horse can save time, frustration and heartache in the future. www.magicbreedplus.com.au

www.feedxl.com

Agrowing horse’s requirements are constantly changing and the future soundness and health of your foal really depends on you getting nutrition right.

The Horse Report

Mares that display colt-like behaviour

Why mares may display colt-like Behaviour and what a veterinarian can do.

Mares that exhibit colt-or stallion-like behaviour-such as mounting other horses, squealing, striking, herding, or showing aggression-can puzzle and sometimes frustrate owners.

While some mares are naturally assertive or dominant, a marked change in behaviour or unusually masculine traits can be a sign of an underlying medical issue that warrants veterinary investigation.

These behaviour changes are also often associated with irregular oestrous cycles and difficulty breeding.

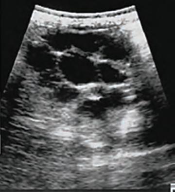
One of the most common causes of this behaviour is a Granulosa Cell Tumour (GCT) of the ovary.

These tumours are usually benign but are hormonally active, often producing antiMüllerian hormone (AMH), testosterone and/or inhibin.

As a result, the mare may begin to behave similarly to a colt or stallion, even though she may not be in season.

These tumours typically affect only one

ovary, causing the other to become small and inactive.

Veterinary assessment should begin with a detailed history and behavioural description, followed by a reproductive examination. Transrectal ultrasonography of the uterus and ovaries can help determine the condition of the uterus and allow comparison of the ovaries for size, texture and structures present.

This is often done in conjunction with an AMH blood test in suspect GCT cases as this is the most specific diagnostic test with 98% accuracy reported.

The blood test can be done alone in cases where the mare isn't accustomed to rectal palpation and facilities are not adequate to facilitate this.

If a tumour is identified, the recommended treatment is referral for surgical removal of the affected ovary (ovariectomy).

This can be done via standing laparoscopy or under general anaesthesia, depending on the mare and the size of the tumour.

Behavioural changes often improve significantly within weeks to months after surgery. In cases where no tumour is found, other causes may include hormonal imbalances, uterine infection, ovarian cysts, pain-related behaviour, or even learned dominant behaviours, particularly in mares kept in isolated or stressful environments.

In such cases, a vet may consider medical

treatments such as altrenogest (such as Ovumate) to suppress cycling, or investigate for pain that could be contributing to the mare's reactivity (consider musculoskeletal or gastric ulcers).

Ultimately, unusual behaviour in mares should not be dismissed as personality quirks.

Early veterinary assessment can help you identify the cause of the problem and guide effective treatment, improving the mare's quality of life and her relationship with owner and herd mates.

Mares showing colt-like or aggressive behaviour can be a sign of underlying medical issues.

The Horse Report

TIPS FOR MANAGING THE THIRD TRIMESTER

As mares progress to their last trimester, they go through the most changes, this may be daunting and uncomfortable for the mare. Here are a few pointers on how you can support your mare nutritionally through the final stages, before your new four-legged friend hits the ground!

1.Ensure she is meeting her calcium needs. Although nutritional needs should be met throughout the pregnancy, they increase in the last trimester due to this being the time in which the foal will do most of their growing.

2.Understand your pasture. This is a big one as oxalate levels in different types of grasses can cause calcium deficiencies if not supplemented correctly. The same goes for toxins in various grasses which can cause neurological symptoms or damage.

3.Omega 3s are hugely important! Not only for brain development but also for placental integrity. Studies have found mares who had a higher level of omega 3 in their diets were able to maintain placental integrity. Compared to mares without omega 3 supplementation who were more likely to suffer from broken or fragmented placentas. Note: horses are herbivores so ALWAYS look for plant-based omega 3 oils, NOT fish oils! Remember, omega 3s are not high in all plant oils, only flaxseed and chia oils are high omega 3 oils from plant based sources.

4.Probiotics have gained quite the reputation over the recent years especially for equine health. Improving the mares microbial balance will not only support the mare’s immune function, but it will improve the milk and bacteria via the mare’s milk, this will assist in building the foals immune system.

Here are just a few of our tips to help you improve your mares health this year, for strong healthy foal. If you have any questions or queries, please don’t hesitate to contact our Nutritionists on (03) 9775 6422 or enq@hiform.com.au

The Horse Report Front line tool for breeding and health monitoring

When it comes to foaling, ontime human intervention - if needed - is crucial to ensure a successful outcome.

This also applies to horses after surgery or for detecting colic.

Magic Breed has earnt the trust of breeders and veterinarians as a crucial frontline tool. This is a non-invasive approach for the animal, the pouch is small and lightweight attaching to the halter which tucks up underneath. You will be alerted when the animal lays down, which would indicate foaling or a health issue, depending on which scenario you are monitoring.

This product was designed and manufactured here in Australia more than 40 years ago, starting with the original Magic Breed, this system has continued to service breeders for more than 30 years in Australia and New Zealand.

In recent years, Magic Breed have moved with technology hence the birth of the Magic Breed Plus system, giving breeders a plethora of enhanced features.

They still support the original Magic Breed system, as there are still many systems going strong out there after 20-30 years of use.

No wifi or phone service is required so no dropouts.

Magic Breed Plus's operating system works on a 917MHz frequency, providing it with greatly improved immunity to interference and superior range - 500m is no problem and in excess of 1km is possible. All you require is power to plug in the base station (receiver).

While this means that it won't work with the 27MHz antenna from the original Magic Breed system, we guarantee that the performance is so good that the external antenna won't be necessary.

You can also monitor up to eight mares at the same time

on the same system.

If you need more, just add another receiver base.

If you have two locations on your property that you require to be alerted at, at the same time, we can accommodate that as well.

The addition of an LCD display on the Magic Breed Plus receiver provides a wealth of operator feedback.

This includes signal strength and battery level, along with individual identification for up to eight transmitters.

Your Magic Breed Plus foaling alarm kit is supplied in a polypropylene rubber sealed IPX7 water resistant rugged carry case for protection during storage, transportation, employs a UV resistant rubber seal to ensure dirt and moisture stay outside of the case and is shock absorbing.

Outside the case, it includes a built-in pressure release valve to ensure internal pressure to be equalised with ambient external pressure.

This ensures a reliable seal at

all times.

Magic Breed Plus, with its 100% solid state technology does not require regular servicing or adjustments.

It is designed by our in-house experienced engineers on the Sunshine Coast, Queensland.

FAST FACTS ON MAGIC BREED PLUS

* Up to eight transmitters can be used per receiver

* Non-invasive - detects when the mare lays down

* Range exceeding 1km possible (easily 500m in built up area's)

* Display shows signal strength, no second guessing

* Long battery life with indicator on display showing level

* Can be used alongside your original Magic Breed System

* No booster aerials required

* 2 year warranty

* 100% solid state technology

* 5-star customer service

For further information visit www.magicbreedplus.com.au Ph 07 5453 4355 or email contact@magicbreedplus.com.au

You can also monitor up to eight mares at the same time on the same Magic Breed system.
The Magic Breed pouch is small and lightweight and attaches to the halter

The Horse Report

Dedicated to providing a high level of on farm veterinary care to horses in the Gold Coast and the Northern Rivers

Preventative & Diagnostic Care

Airway scoping, portable x-ray, ultrasound, shockwave therapy, laser therapy

Lameness & Orthopaedic Checks

Dental Exams & Power floats

Reproduction & Breeding Services

Routine Surgeries (castrations, caslicks, wounds)

Freeze Branding & Stud Id

Available daily: 7am – 4pm

Dr. Khiani Mortimer 0413 905 259

Dr. Kevin Squire 0478 838 511

Email: byronbayhorsevet@gmail.com

Web: www.byronbayequinepractice.com.au Follow Us

Nurse Jennifer Meehan & Dr Khiani Mortimer
Dr Kevin Squire

The Horse Report

Why Hi Form EquiCubes are so beneficial

Studies in 2025 show that hay cubes can be beneficial for horses because they offer a consistent nutrient profile, reduced dust content, easier portion control, and can be particularly helpful for horses with respiratory issues due to their minimal dust particles, this makes them a good choice where standardized feeding is crucial.

Horses also spend a long time chewing EquiCubes which improves digestion and supports the gut microbiome. It stands to reason that EquiCube is the best option as it is not only a cube, but is also a complete feed.

Uniform nutrient profile

Little variation occurs from one load of hay cubes to another, especially when they are from the same manufacturer which is the case with our EquiCube being produced by Multicube.

Very importantly, all the hays are grown locally by Multicube so you know exactly what you are getting at any given time.. EquiCube is made to strict specifications providing the consumer with a guaranteed nutrient value.

Full specifications are always available on the bag but also online at hiform.com.au under feeds.

Areminder - EquiCube is a clean hay-based feed and does not contain any by-products or unnatural ingredients.

Less forage wastage

Horses generally clean up hay cubes more readily than they do conventional hay. Because of their incredibly mobile lips, horses can easily separate the tender, palatable leaves from the stems in conventional hay. The stems are sometimes deemed undesirable by horses and are left behind.

Feeding studies reveal that as much as 20% of conventional baled hay may be wasted when fed, and forage wastage can reach an alarming 40% when large round bales are provided to horses.

Feeding EquiCubes in a container, such as a bucket or tub, also keeps them from becoming trampled and unpalatable, though horses are likely to retrieve spilled cubes off the ground because unlike hay they retain their shape.

Portion control

When feeding EquiCubes, it is easier to con-

EquiCubes are appropriate for horses of all ages and provide a balanced feed ration.

trol the amount of forage the horse consumes. Horses should be fed by weight and not volume.

Feeding EquiCubes makes adhering to this recommendation more manageable because the weight of cubes is more consistent than the weight of traditional hay.

Abucket of cubes one day will likely weigh similarly to a bucket of cubes the following day. On the contrary, four biscuits of hay may weigh significantly more or less from one day to the next.

Weight of traditional hay depends on a variety of factors: size of biscuits, density (is the hay packed tightly or loosely into bales), and type of hay (legumes tend to be heavier than grasses).

Ease of storage

EquiCubes are more dense than traditional baled hay. A20kg bag of hay cubes takes up far less space than a 20 kg bale of hay.

Approximately three bags of EquiCubes fit in the area of an average-sized, square bale of hay.

Travelling withEquiCube

Horse owners can pack more EquiCube in less space when traveling to horse events.

Using EquiCubes for horses that must travel frequently is a smart management technique, as cubes require less room, possibly avoiding a change of hays when away from home.

Chewable

Horses grind long-stem hay with the teeth in the back of their mouths, called cheek teeth or molars. Horses sometimes have misalign-

ment of their molars, which precludes them from properly masticating hays. EquiCubes make it a better option for these horses.

Cost

On a kg to kg basis, EquiCubes are more expensive than traditional hay as they are a complete feed. But feeding EquiCube can actually reduce your feed bill. The price of a high quality hay varies throughout Australia many horse owners are reducing their feed bills after making the switch to EquiCube. "I absolutely love this feed, I switched approx 6mths ago to Stud & Sport for my reining horse. My feed bill has been cut in half.Emmett gets 600g of the cubes, I add 6g Oxydane. He loves it so much that I use it as a treat, I grab a couple of cubes and break them up, he loves it as much as licorice which I didn't think would be possible."

Donna.

Palatability

EquiCubes are highly palatable and are precisely what horses have evolved to eat being natural hay based long stem fibre. EquiCubes are designed to crumble easily , however, the AlphaFibre is more dense being a legume and will not crumble as easily as the FibrePlus and StudNSport. Horses must bite them with their incisors, the teeth in the front of their mouths, and then advance the pieces to the rear of their mouths, usually with their tongues. Horses find it easy as it is similar to using their incisors for tearing pasture grass.

 Continued page 17

The Horse Report

Feeding made simple to meet the horses needs

 From page 16

Speed of intake

Feeding EquiCube slows down the chewing process and mimics that of grazing or consuming hay.

This is such a bonus for the health of the horse in general and to support the gut microbiome.

Choke

Choke has little to do with the feed form and is related more to the speed with which the feed is eaten.

EquiCubes are appropriate for horses of all ages. EquiCubes provide a balanced feed ration and if a horse is predisposed to choke it is highly recommended to wet or soak the cubes.

The best advice to prevent choke is to make sure your horse’s teeth are maintained on a regular basis no matter what age and always ensure there is fresh clean water.

Agreat way to reduce the risk of choke is to slow down those horses that tend to eat fast and provide the hay in slow feeder hay nets with a smaller holes.

Horses often eat too quickly when they are in a shared paddock situation as they are constantly competing for food.

Dampening the feed using AlphaFlax oil is a great way to reduce the risk.

Spreading feed including the EquiCube out over a large sized feed bin or out on a rubber mat so they have to “fibre” for their feed will slow down the process.

Feeding Recommendations

•Always feed by weight not volume.

•Horses require a minimum of 1.5% of body weight (kg) of fibre per day.

•For example 4.5kg per day for a 300kg pony or 7.5kg for a 500kg horse.

•Fibre requirements depend on pasture availability, horse’s weight, age, size,condition and work level.

•Fresh drinking water should always be available.

•Consult a qualified nutritionist to develop a complete feeding plan specifically for your horse.

Fibre-First Feeding withHiForm

At Hi Form, we know that fibre is the foundation of equine health.

Horses are designed to graze for up to 18 hours a day, and quality fibre supports not just digestion, but also mood, weight management, and overall vitality.

That’s why our range of fibre products is designed to meet the needs of every horse, at every stage of life and work.

EquiCube feeds are economical, highly palatable and so easy to feed.

FIBREPLUS

Acomplete, balanced feed for all work levels, grain free and ideal for horses who may require more condition.

EquiCube FibrePlus contains the perfect balance of:

• Alfalfa hay and oaten hay in a long-stem fibre cube

• Hi Form EquiSoy for quality protein

• Hi Form CompletaVite for essential vitamins and minerals

FibrePlus supports healthy weight gain, muscle tone, and sustained energy without

the use of grains or fillers.

AlphaFibre

Acomplete, balanced feed for all horses in light to medium work, particularly suited to those with specific metabolic or health concerns. AlphaFibre is suitable for horses with:

• Laminitis

• Equine Metabolic Syndrome (EMS)

• Insulin Resistance

• Cushing’s Disease

• Weight management needs

EquiCube AlphaFibre contains:

• Alfalfa hay in a long-stem fibre cube

• Hi Form CompletaVite for a full spectrum of vitamins and minerals

This makes AlphaFibre a safe, low-starch and low sugar, nutrient-rich option for horses requiring careful dietary management.

StudN Sport

Acomplete, balanced feed for high-performance horses as well as broodmares, weanlings, yearlings, growing horses, and stallions.

EquiCube Stud N Sport contains:

• Alfalfa hay and oaten hay, whole oats and steamed barley in a long-stem fibre cube

• Hi Form Oxydane for cellular health, stamina, and recovery

• Hi Form EquiSoy for quality protein to support muscle development

Stud N Sport is formulated to provide the energy, nutrients, and recovery support required for horses in demanding work or important breeding phases.

While each of these fibre products delivers targeted benefits, we also understand that horse owners need convenience, consistency, and portability in their feeding program. That’s where EquiCubes come in offering clean, high-quality fibre in a compact, mess-free form that fits into every horse’s lifestyle.

Feeding made simple and designed to pair

withHi Form supplements

EquiCubes are designed as the perfect base for Hi Form’s powerful daily supplements. Simply top your horse’s portion of cubes with their tailored Hi Form blend, mix, and feed.

This feeding method ensures:

• Targeted nutritional support for your horse’s specific needs.

• Zero waste — supplements are consumed in full.

• Maximum absorption thanks to quality hay based fibre supporting gut function. The long, consistent fibre particles in EquiCubes encourage chewing and saliva production — both essential for buffering stomach acid and maintaining hindgut balance.

This slower eating rate can help reduce the risk of:

• Gastric ulcers

• Colic episodes

• Digestive stress in sensitive or performance horses

For ulcer-prone or high-stress horses, EquiCubes provide a safe, fibre-first feed that supports natural eating behaviour.

For further information and a free diet analysis please email enq@hiform.com.au or DM us on Facebook or phone 03 97756422. 1300 HI FORM 03 97756422 enq@hiform.com.au www.hiform.com.au

The Horse Report

The Equine Herpes Virus can cause mares to abort

Equine herpes is a widespread and deadly condition in horses caused by the Equine Herpes Virus 1 (EHV-1) and is found in horse populations worldwide.

It can cause respiratory diseases, especially in young horses, neurological diseases and abortion in some pregnant mares.

The virus targets the respiratory, reproductive and central nervous systems and gradually spreads throughout the body.

This can lead to incontinence, an inability to stand and stillbirth in pregnant mares.

Symptoms:

If your horse is infected, you may notice the following signs:

•Fever, and may be missed if the horse’s temperature is not measured

•Coughing

•Nasal discharge

•Abortion, which usually occurs without warning, late in the pregnancy.

The respiratory disease caused by EHV most commonly affects young horses.

Shedding via respiratory secretions typically lasts 7-10 days but may be longer, with aerosol being the primary means of transmission, either directly or indirectly through poor hygiene.

Mares that have aborted also shed virus in respiratory secretions with virus also being present in the foetus, placenta, foetal membranes and foetal fluids.

Affected foals that are born alive typically die within days.

The neurologic disease caused by EHV-1 infection is known as Equine Herpes Virus

myeloencephalopathy (EHM), and is due to damaged blood vessels, including damage to the blood-brain barrier.

EHM may occur without any signs of respiratory disease and commonly affects the hind limbs and the urinary system.

Signs include:

•Lack of co-ordination

•Urine retention incontinence

•Inability to stand up, if severely affected. If your horse is only mildly affected, there’s

Equine performance oils

At Canterwell & Co, they are dedicated to providing the highest quality equine supplements.

Their journey began with a passion for horses and a commitment to their well-being.

They believe in the power of natural ingredients and their ability to enhance the health and performance of horses. Why choose Canterwell & Co?

Their supplements are meticulously formulated to meet the specific needs of horses. They prioritize excellence and integrity in every step of their production process.

Always upping or introducing new feeds, unsure what is safe to use? Wanting to add condition, weight and shine without blowing your horse’s feet off?

Canterwell equine performance oils have a high omega-3 content and is safe choice for horses with laminitis, EMS and metabolic issues when fed correctly as it is sugar and starch free.

Horses with the above problems usually have grazing times limited, and may not get sufficient omega-3s, leading to imbalances in their diet. To address this, horses on restricted grazing can be supplemented with omega-3 source with a cold pressed flaxseed oil like Canterwell.

Omega-3 fatty acids have anti-inflammatory effects and can help improve insulin sensitivity, which can be beneficial for horses prone to laminitis.

Why Omega-3s matter:

Omega-3s have various health benefits, including anti-inflammatory effects and supporting skin and coat health, hoof health.

It's important to ensure a proper balance of omega-3s and omega-6s in the diet, as some sources like grains and vegetable oils are higher in omega-6s.

For further information www.canterwell.com.au

a good chance of recovery, but there’s a poor outlook for those that have been severely affected.

It may take several weeks or months to recover from neurologic problems, and some horses are affected for the rest of their lives.

The Equine Herpes Virus is transmitted in various ways.

1.Horses breathe in the virus from infected horses – shedding via the respiratory system can last for 7 to 10 days

2.The virus can be spread indirectly when secretions from an infected horse (either from their nose or due to an abortion, which results in infected tissue and fluids) are transmitted by people or by sharing equip-

You can vaccinate your horse against Equine Herpes Virus with a vaccine available from your vet.

Vaccination reduces the clinical signs of respiratory diseases caused by both strains of the virus, EHV-1 and EHV-4.

It also helps to control EHV-1 abortion when used in conjunction with appropriate management practices, as advised by your vet.

Your horse can get this vaccination from five months of age, or from three months if at high risk of infection.

Your horse will need a second dose four–six weeks after the first dose, followed by a booster every six months.

Breeding mares should receive doses at five, seven and nine months of pregnancy. Fortunately, this virus is very species-specific, meaning that humans do not catch equine herpes virus, and vise versa.

Nasal discharge is one of the symptoms of Equine Herpes Virus.

The Horse Report

What makes Rose-Hip Vital Equine stand

There are in fact many reasons. It all starts with the humble Rosehip, the berry-like fruit of the wild rose bush species Rosa Canina. A wholefood known to be one of nature’s richest sources of natural vitamin C. A superfood containing 8 naturally occurring vitamins (including C, E, B1 and B6) and 23 minerals (including iron, copper, zinc and magnesium), essential fatty acids (omegas 3, 6 and 9),

You may already know rosehips are often fed to horses for immune system support and a

improved circulation and improved digestive function. So you’re probably wondering what makes Rose-Hip Vital® so special?

Rose-Hip Vital® is made from Rosehips manufactured with patented extraction and drying processes which isolate and activate a galactolipid (fatty acid) called GOPO®. GOPO® has clinically proven anti-

The patented processes also concentrate and preserve the naturally occurring vitamins and minerals, transforming Rose-Hip Vital® into a product that is both in a category all on its own, and across many; It’s a joint

antioxidant and a nutritional supplement. It delivers noticeable improvements to mobility, mood, condition, willingness to move forward, performance and recovery while reducing

improving general health and wellbeing, and boosting immunity.

Rose-Hip Vital® is a clinically proven plantand rich source of natural vitamin C. There is no product like it. Unlike other joint supplements, Rose-Hip Vital® is 100% plant-

Rose-Hip Vital® is safe for long term use and it does not swab. It can be used alongside conventional treatments and supplements as well as potentially replacing or reducing the medication.

Horses like it so much, even the fussiest of eaters become more enthusiastic about their feed once Rose-Hip Vital is added. So while Rose-Hip Vital Equine has become a highly use, it also has become highly recommended for improving general health and wellbeing, improving performance and maintaining healthy joints.

How does Rose-Hip Vital® Equine lengthen the lifetime of a working horse?

Vital is comprehensive. There are in excess of placebo controlled clinical trials on people, dogs and horses mainly focusing on antithe unique compound GOPO.

To many people, antioxidants and anti-aging go hand-in-hand. Antioxidants are talked about as the antidote to cell-damaging free radicals. Exercise and the associated stress and increase in oxygen consumption are linked to an increased production of free radicals. When the production of free radicals overwhelms the body’s antioxidant defences, oxidative stress can occur with subsequent

research shows horses need natural vitamin C to help block toxic free radical activity, which causes damage throughout the body including joints and cartilage.

Some white blood cells in the body contain granulocytes which enable them to ‘clean’

bacteria in it. Too many of these white blood cells wear down tissue cartilage. In large numbers they can also produce chemical enzymes and toxic freeradicals which cause even more tissue damage. Excess accumulation of white blood cells combined with the release of chemical substances cause’s joint pain

The more becomes, the more the white blood cells are attracted to it –a painful cycle.

protects cartilage. This means it helps to delay the onset of arthritic changes or slow down further cartilage degeneration if it already exists.

In short, if you want to extend the lifetime of your working horse, feed it a natural antirich source of natural vitamin C. Rose-Hip Vital® Equine is your only option, and the results speak for themselves.

https://rosehipvitalequine.com.au/horsereport-promotion/ https://rosehipvitalequine.com.au/horsereport-promotion/ https://rosehipvitalequine.com.au/horsereport-promotion/ https://rosehipvitalequine.com.au/horsereport-promotion/ https://rosehipvitalequine.com.au/horsereport-promotion/

Equine Health Feature

The Horse Report IgG tests, what are they and why

An IgG test is a simple blood test used to check immunoglobulin levels in foals. It is generally performed on a newborn foal approximately 18-24 hours after birth. The IgG test ensures the new foal has absorbed sufficient antibodies from its mother through that first important milk, colostrum.

The absorption of the antibodies from the milk is called passive transfer. When a foal fails to absorb enough antibodies, it can be for a number of reasons.

- The mare had poor-quality colostrum

- She may have run milk for several days before giving birth

- Foal failed to drink or absorb the colostrum in those vital first few hours.

So why is this so important?

The mare’s colostrum provides antibodies to the foal that are vital in those first few days after birth, especially until the foal can produce its own and develop a healthy immune system.

The antibodies help the foal to fight off infections, and without them, a newborn foal has a lower chance of surviving those first few days.

Afoal should stand within 1-2 hours after birth and they need to be drinking soon after this.

Afoal’s ability to absorb the immunoglobulin proteins from colostrum is best at between 6-8 hours after birth.

If you suspect your foal has not been able to absorb what it needs from the milk, or that your mare had poor quality milk, or ran milk prior to birth, there are several things that can be done with the assistance of your veterinarian.

However time is of the essence, and the window for some treatments is narrow, so if you have any concerns, seek help immediately. There are a few things that you can do to try to help ensure passive transfer occurs and your foal gets everything they need.

- Ensure the foal drinks in those vital few hours after birth

- Allow the foal to nurse frequently

- Test the mare’s milk just prior to birth (there are tests available for this, speak with

your veterinarian for assistance)

- Collect colostrum and freeze if the mare does run milk in the days leading up to birth or have some already in the freezer in case needed.

- Have an IgG test and post-foal exam performed by the veterinarian at approximately 18-24 hours old.

- Ensure the mare is provided with a wellbalanced nutritional diet during pregnancy

Always seek the advice and assistance of your veterinarian or a qualified professional to help navigate those important first few hours after and days leading up to the arrival of your foal.

Proper preparation will allow the best start to life for your little one.

BARREL RACING

www.abha.com.au

SEPTEMBER

6 Beaudesert, QLD

6-7 Wingham Showgrounds

7 Branxton, NSW

12 Cunnamulla QLD

13-14 Biloela, QLD

3 Tarcutta, NSW

13 Trafalgar Western Sports Arena

13 Ross, Tas

14 Lyndoch, SA

14 Quirindi Rodeo Arena

18 - 21 Widgee Sports Grounds, QLD

21 Cooma, NSW

21 Moonbi, NSW

21 Bartlett Park NQ ABHA

21 Hillier, SA

26 - 27 Gingin, WAState Championships

27 Bundarra Showgrounds NSW

27 Forbes NSW

27 Gracemere QLD

27-28 Cooranbong, NSW

28 Bundarra Showgrounds NSW

28 Lazy Acres Qld

28 Lyndoch, SA

28 Lockington VIC OCTOBER

4 Beaudesert, QLD

4 - 5 Walkamin QLD

4 Walgett NSW

5 Quirindi Rodeo Arena

11-12 Moranbah QLD

DRESSAGE.

www.qld.equestrian.org.au

www.nsw.equestrian.org.au

www.vic.equestrian.org.au

www.sa.equestrian.org.au

www.wa.equestrian.org.au

www.nt.equestrian.org.au

www.tas.equestrian.org.au

SEPTEMBER

6-7 Atherton Tablelands

6-7 Hunter Valley

6-7 Grafton RC

7 Park Ridge

7 Samford

7 Gladstone Calliope

14 Currumbin District Horse Club

14 Tweed

11 Brookes Arena, QLD 11-12 Geurie, N BREEDS

SEPTEMBER

28 NNSW Allbreeds Show @ Casino OCTOBER

1-6 Ranch Horse Nationals @Scone 18-19 Halloween Miniature Horse Showcase @ Merriwa NOVEMBER

DISTANCE RIDING

www.tadra.asn.au

SEPTEMBER 12-14 Hardings Paddock Mtn Adventure

9 QLD Riding Pony Pageant CAMPDRAFTING/CUTTING /TEAM PENNING

SEPTEMBER

4-7 Bollon Campdraft

4-7 CQ Campdraft

5-7 Monto Silver Buckle Campdraft

5-7 Millmerran Campdraft

12-14 Muttaburra Campdraft

12-14 Mitchell Campdraft

12-14 Mundubbera Golden Stirrup Campdraft

13-14 Hannaford SS P& C Campdraft 13-14 Stanthorpe Annual Campdraft 18-21 Comet River Windmill Campdraft 19-21 St George Campdraft

26-28 Rathdowney Memorial Campdraft 26-28 Roma Golden Hobbles Campdraft OCTOBER

2-5 Tennant Creek Campdraft

3-5 Cooyar Campdraft

3-5 Dawes Hall RCI Campdraft

3-5 Rich River Campdraft VIC

3-5 Belyando Performance Horse Campdraft @ Clermont, QLD

4-6 High School Percentile Cup 2025 @ Pittsworth, QLD

4-5 Boonah Campdraft Qld

4-6 Aberdeen Campdraft Qld

4-5 Bauhinia Campdraft NT

4-5 Hinnomunjie Campdraft VIC

4-5 South Burnett ASH Campdraft & Challenge

11-12 Drake Dash Ph 0428 840 176

DRIVING

www.australiancarriagedrivingsociety.org\ SEPTEMBER

6-7 Pleasure Drive/Camp at Gilgai

7-17 Annual Spring Pleasure Drive @ Manilla 13-14 Rosymoon Cup 2025 @ Temora

20-21 Level 3 CDE@ Murrami Sportsground

27 Cones Spectacular – Camden Club

26-29 Queensland State Championships 2025 @ Nanango Showgrounds

ENDURANCE

www.aera.asn.au / www.tadra.asn.au

SEPTEMBER

5-6 WAState Championships

6-7 Spring Shore

6-7 Wondai

13-14 Woodstock

13-14 Moyston Endurance Ride

26-29 Cordillera Trail

26-28 SAState Championship - Ponderosa

27-28 Johns River Endurance Ride

OCTOBER

3-4 Bakers Scenic Challenge TAS

4-6 Matar & Bullio NSW State Champs

4 Collie Memorial Ride WA

10-12 VERAState Champs @ Mt Cole

11-12 Watagans at Werakata 18-19 Urbenville NNSW

INTER SCHOOL

SEPTEMBER

6-7 QLD AIC Team Camp @ Fig Tree Pocket

6-7 Fraser Coast Horse Trials

13-14 Dressage & Show jumping @ Mt Larcom

25- 30 National Interschool Champs@ SIEC

OCTOBER

4-6 Berry Interschool Equestrian Championship 11-12 Show Jumping @ Toowoomba

16-20 ISHE - Interschools Horse Extravaganza POLO/ POLOCROSSE

www.polocrosse.com.au

5-7 QLD State Club Championships -Chinchilla PONY CLUB

www.pcansw.org.au

www.ponyclubqld.com.au

www.ponyclubvic.org.au

www.ponyclub.asn.au

SEPTEMBER

6-7 NSW State Mounted Games & Team Sporting Championships @Camden 26-29 PCQ State Formal Gymkhana, Sporting, Stockman's Challenge & Campdraft Champs @ Kilcoy

OCTOBER

9-10 Murwillumbah Pony Club Camp

11-12 Teams Dressage - Southport

25-26 PCQ Tetrathlon Champs @ Mudgeeraba

NOVEMBER

28-30 NSW State Dressage & Show Riding Champs @ Grafton REINING

www.reiningaustralia.com.au

SEPTEMBER

11-14 MRR John Wicks Reining Clinic

27-29 MRR Clinic / Reining Show

OCTOBER

25-26 TRHALast Point Score Show RODEO

www.nationalrodeoassociation.com.au

www.prorodeo.com.au

www.pbraustralia.com.au

SEPTEMBER

6 Mary Valley

4 The Gootch Stampede

11 Grass Roots Thornlands - BULLRIDE

11 Malanda

18 Eatons Hill Hotel - BULLRIDE SHOWJUMPING /EVENTING

www.qld.equestrian.org.au

www.nsw.equestrian.org.au

www.vic.equestrian.org.au www.sa.equestrian.org.au www.wa.equestrian.org.au www.nt.equestrian.org.au www.tas.equestrian.org.au

SEPTEMBER

6 North Qld Showjumping

13-14 Scenic Rim Showjumping Spectacular 18-21 Willinga World Cup NSW

26-28 Qld Showjumping Club Sept Classic

27-28 North Qld Showjumping

OCTOBER

3-5 Boneo World Cup VIC

4-6 Glen Innes Spring Championships

4-6 Tropical North Championships & OTT Spectacular with Frosty Mango Finals 16-19 Stonewall World Cup NSW

SHOWHORSE

www.agsshowsnsw.org.au

www.qcas.net.au

www.vicagshows.com.au www.sacountryshows.com

SEPTEMBER

2-3 West Wyalong Show

5-6 Beaudesert

6 Mary Valley

6-7 EQ HOTY@ QSEC

7 Woodstock Memorial Show

12-13 Hay Show

12-13 Noosa

12-13 Wagga Wagga Show

13 Quilpie

13-14 Forbes Show

13-14 Quirindi Show

20 Kenilworth

20-21 Nimbin Show

19-21 NNSW Hack Champ @ Grafton

26-27 Kyogle Show

26-28 Singleton Show

27 Eumundi

28 NNSW Allbreeds Show @ Casino

OCTOBER

3-5 SHCQ HOTY@ QSEC

10-11 Casino Show

16-18 Lismore show

24-25 Alstonville Show

25-26 Picton Show

31-1 Murwillumbah Show

31-1 Albury Show

NOVEMBER

7-8 Dungog Show

8-9 Mullumbimby Show

9 QLD Riding Pony Pageant @ Laidley TRAIL RIDING & CTR

Australian Trail Horse Riders Association0418 438 807 www.athra.com.au

Beaudesert Shire 0429 443 237

Beechmont & District 0419 737 253

Bouldercombe 0459 451 967

Breakaway 0408 712 851

Brisbane Valley 0428 750 145

Cairns Trail Horse Club 0429 008 707

Calen Trail & Sports Club 0428 849 529

Cooloola Trail riders Ph 07 5482 8436

CTHC-Caboolture ph 07 5498 6068

Curtis & District 0438 111 091

Dayboro Trail Riders to 0432 186 200

Email - dayboro.trailriders@gmail.com

Gympie Region Horse Trail Riding Club 0488 015 673

Ipswich & District 0457 881 012

Logan River Redlands 0412 655 613

Mudgeeraba & Hinterland 0407 902 754

Rathdowney Trail Riding 07 5544 1177

Richmond River Trail Horse Riders Club 0431 486 354 / rrthrc@gmail.com

Saturday Horse Activities 0408 361 215

SCATER www.scater.com.au

Ph: 07 5478 8676 or 0417 612 061

Somerset Trail Riding Club - 0418 438 807

Sunny Coast Trail Club - 0428 176 557

Tweed-Byron Trail Riders 0418 400 047

Townsville Horse Trail Club 0407 117 998

Toowoomba Trail Riders 0419 614 426

Toowoomba's Cumburrie 0438 933 032

Trail Riding Australia 0458 342 067

Wide Bay Trail Riders 07 4126 3456

WESTERN www.aqha.com.au

SEPTEMBER

The Horse Report

“BYE BYE FLY”

QUEENSLAND ITCH, SWEET ITCH, SUMMER ECZEMA and EQUINE ALLERGIC DERMATITIS are names for distressing skin conditions which affects horses in spring and summer months throughout Australia and around the world.

The usual cause is a hypersensitivity to the bites of flies (in particular sand flies or midges).

While the bite of the flies are an irritation, some horses develop sensitivity to the bite and will rub themselves so much that they cause injury to their skin.

Research shows the cause is an allergic reaction to the chemicals in the saliva of the midges (as with humans).

Not only that, but once or twice a day, stable lies come to the horse, feed vigorously for a minute or two, and then return to the shade to digest their food. These bites can cause intense irritation in some horses. The bites appear as small raised lumps with a central scab.

The effects on the horses can be dramatic. They suffer intense pruritus (itchiness) on the mane, tail, face, ears and back, resulting in biting, rubbing, hair loss, self-trauma and a change of temperament. They become miserable and irritable.

KURITCH has been specially formulated to help assist this problem effectively, in a number of ways:

Firstly, it repels the biting insects using the combination of the natural repellent “Citronella Oil” and a highly effective repellent “DEET”. Secondly, it soothes the irritated areas thus relieving the horse from biting and rubbing, which in turn allows the normal healing process to begin.

It achieves this by the inclusion of the natural antiseptic “Eucalyptus oil” and Camphor oil” which naturally relieves itchy skin.

Also rugging, hooding or stabling your horses between the hours of 4pm – 7am during spring and summer will limit the contact of the flies.

Should your horse already be suffering from the effects of allergic skin dermatitis, ensure you use QUIT ITCH to treat and relieve the effects of insect bites.

Since the 1970’s, QUIT ITCH has been an essential weapon in the fight against skin disorders in horses.

These significant benefits are also enhanced by the “Rain Resistant” and “Low irritant” formula. As it doesn’t contain alcohol (prevalent in most fly sprays) it won’t “sting” the horse. It can also be applied to surface wounds, minor cuts and skin abrasions to help prevent irritation and possible infection by nuisance insects.

Registered by the APVMA in Australia for over 40 years, extensive field experience has proven KURITCH to be a most effective solution for both preventing and healing distressing skin conditions caused by biting insects.

As well as KURITCH as a repellent, environmental management will also assist in protecting your horse.

Midges breed near stagnant water. As they don’t fly more than a few hundred metres from their breeding area, housing or paddocking your horses more than 500 metres from those areas will reduce their exposure to the flies.

The Horse Report

Radiographic proof in clinical results

BONE Gold nutritional bone joint and collagen supplement was formulated to provide some of the essential amino acid requirements of collagen type I, II and III (found in bone and connective tissue) in addition to supporting the nitric oxide pathway which has been found to assist in the formation of bone callus postinjury.

Veterinary surgeons have recommended that Bone Gold may assist with sore shins, tendon injuries, ligament injuries, osteoarthritis and post-surgery in horses and polyarthritis, geriatric osteoarthritis, and post-surgery in dogs.

Here is a veterinary radiographic report on a horse with a fracture evident on the medial toe and after treatment and feeding Bone Gold during this period. More information on these products can be found at www.vetgold.com.au

VETERINARY RADIOGRAPHIC REPORT

HORSE: "XXXXXXXX"

DATES OF EXAMINATION: 26TH AUG, 21ST OCT 21 & 17TH NOV '21

PLACE: XXXXXXXXXX FARM

XXXXXXX's left and right front feet were radiographed on 26th Aug, 21st Oct (8 weeks) and again on the 17th Nov '21(12 weeks).

RADIOGRAPHS:

26.08.21: Right Front: Large P3 solar margin fracture evident on medial toe 32.6mm x 4.1mm with approximately 1.4mm separation from parent bone as below left image.

21.10.21: Right Front: Fine residual 4.2mm fracture still evident, approximately 90% resolution

17.11.21: Right Front: Fracture fully resolved

RECOMMENDATIONS:

Radiographic results as of the 17th Nov '21 show total resolution of the original fracture.

XXXXXXX was reshod today utilising off an alloy shoe with a toe clip - inner circumference seated out to avoid any sole pressure.

The horse can return to training. Please do not hesitate to contact me if you have any further queries

COMMENTS:

Solar margin Type IV fractures of this magnitude have well-documented internationally published healing rates of 7 - 12 months. Full resolution of these fractures is rare as most often the fracture fragments are resorbed.

Full resolution in a 3 month period was not anticipated.

The horse was on Bone Gold 3 x scoops fed once per day for this period.

"Go to our webpage or scan the QR Code to see more Bone Gold Radiographic results"

The Horse Report

Balancer Pellets and does my horse need them?

The vast majority of horses, ponies and donkeys do not need a traditional bagged horse feed to meet their full dietary requirements. Many owners do not realize that there are alternative products available that better suit their horse's dietary requirements.

Q. What is a balancer pellet?

A. Avery concentrated feed designed to add only the elements of the diet not supplied by the horse's forage. It is usually in a pellet form but may be a powder. Balancer pellets add vitamins and minerals with minimal additional calories. Some, but not all, are also designed to add protein to suit particular classes of horses such as broodmares or growing horses.

Q. What is a mineral balancer?

A. Asupplement (either a pellet or powder) designed to add the minerals necessary to top up and balance a horse's forage source with minimal added protein and calories. Agood one will also balance the critical mineral ratios across the whole diet.

Q. Why do horses need mineral balancers?

A. Even the best quality grass grown on the best soils in the world does not contain the levels of minerals needed to meet the optimal mineral requirements of horses in correctly balanced ratios.

This can leave a pasture-fed horse mineral deficient even though the grass provides enough calories to maintain weight and enough natural oils to keep the coat shiny.

Q. How do you identify a balancer pellet?

A. When compared to a typical bag of horse feed, a bag of balancer pellets will be much more expensive per kilo.

However, balancer pellets are often cheaper per serve, allowing you to feed a better balanced diet more cost-effectively.

Calculate the cost per day of bagged feeds and balancers by dividing the cost per pack by the number of serves in the pack.

Some balancer pellets need to be fed at around 1 kg per day for a full sized horse, some as little as 200 g per day whereas a traditional bag of horse feed needs to be fed at 3 to 4 kg per day. You can expect the mineral levels in a concentrated feed to be at least twice as high as the levels in a standard feed, and the levels in a balancer pellet to be more than 4 times higher.

Q. Does my horse need a balancer pellet?

A. Your horse needs a balancer pellet if:

* s/he stays a good weight on grass and hay alone;

* s/he gets too fat or too silly if fed the recommended amount of your chosen horse feed pellets;

*you do not use a vitamin and mineral powder

*you do not feed the full recommended amount of a 'normal' good quality horse feed.

Q. What is the difference between a 'normal' horse feed and a balancer?

A. Anormal horse feed is designed to provide calories, protein and vitamins and minerals targeted towards horses with differing requirements (e.g. performance horses or breeding or growing horses or racing horses) and owners with different budgets (from budget feeds to premium feeds with high quality ingredients). Agood quality horse feed will include a good quality vitamin and mineral premix but will only provide adequate levels of minerals if fed at the recommended rate. Abalancer pellet or powder can also be used to top up these levels if your horse needs some (but not all) of the calories in a pre-mixed hard feed.

Agood quality balancer will contain similar levels of vitamins and minerals (and maybe amino acids) PERSERVE as a quality horse feed, but without the calories. That is why balancer pellets are ideal for:

easy-keepers, over-weight and laminitis prone horses, most miniatures and ponies, donkeys, hardy, native breeds, pleasure and pony club horses, horses grazing lush, leafy spring or

autumn pastures.

Your horse is more likely to need a 'normal' horse feed if s/he is:

* in moderate or harder work;

* in late pregnancy;

* a lactating broodmare;

* rapidly growing;

* unable to maintain a healthy weight on grass/hay alone.

You are not a 'bad owner' if you don't give your horse a large hard feed every day - If your horse doesn't need those extra calories. Your horse or pony will be happier being fed more grass or hay and a small meal of balancer pellets than if given a large hard feed and then has restricted grazing or small amounts of hay to prevent unwanted weight gain.

Horses are healthier when they are able to 'trickle feed' by consuming low-calorie grass or hay for the majority of the day. Because the equine stomach releases acid continually, horses can begin to develop ulcers from acid burn in as little as four hours on an empty stomach. This is different to the human stomach which is only triggered to release acid when we chew and food enters our stomach.

Your horse will be happier and healthier if allowed to consume all the calories he or she needs from roughage, and only eats a concentrated source of calories if unable to maintain weight without a hard feed.

Many owners use the small serve of balancer pellets as a daily treat, since a good balancer pellet giving all the minerals their horse needs to balance the diet can fit into a couple of handfuls of tasty pellets.

Balancer pellets add vitamins and minerals with minimal additional calories.

The Horse Report

The Horse Report Your Horse Deserves A Better Ride...OzGlide

What is the Oz Glide?

The Oz Glide concept is unique. It is the only hitch dampening system available in Australia that offers a smooth ride in both tow vehicle and the trailer.

While the Oz Glide does not change the static ball weight, it delivers a smoother ride by reducing the downward impact applied to the vehicle tow ball through its airbag and shock absorption system.

As a result you will achieve a smoother and safer ride. When applied to a horse float you will have the added benefit of reducing stress to livestock.

Following extensive testing the Oz Glide system has met Australian Design Rules and will provide you with an assurance of a quality product which will enhance your towing experience while delivering increased safety.

The Horse Report

Connection and how it is often misunderstood

This week I want to reflect on connection. Connection is often misunderstood as being "wishy washy" or "woo woo" or for the 'snowflakes'. Connection as I see it is built on a mutual trust, which in turn is built on each party feeling confident in the others actions.

Be it in a human to human relationship, or a human and horse or human and dog, as we spend time with each other, we build an ability to 'predict' or at the very least anticipate the others behaviour or actions in certain circumstances. Im sure you could tell me that if a balloon popped nearby, what the reaction of your partner, horse and dog would be.

But predictability doesn't always build trust. In fact if you are keeping company that is reactive and unstable, you may be able to predict a reaction, but that reaction isnt necessarily one that makes you feel safe. So connection is built on not only the predictability of the actions of the person / horse / human, but in turn how those actions make you feel - safe or unsafe. So if we want to connect with our horses, we need to learn how to be predictable in a way that builds confidence, that builds our horses trust and their desire to turn to us in times of stress.

This begins with a set of boundaries, or consistent "rules".

No relationships can build trust if there aren't 'rules' that each person (or horse or dog) is following.

I have several basic boundaries that all horses in my presence must adhere toDon't crowd me, dont take my hand, dont put your head over my head, dont rub on me, and dont push me - this is consistent for all horses, everywhere, and through these boundaries the horse learns that he is in a safe space. I also uphold a set of

https://www.booktopia.com.au/the-horses-who-heal-sue-spence/book/9781743535028.html

Email: admin@horseshelpinghumansaustralia.com Ph : 0416 146 396 www.horseshelpinghumansaustralia.com

boundaries for myself, as I relate to the horse - I wont pull on a horse, I wont be agressive towards a horse, I wont crowd a horse, I will listen.

I can establish these 2 way boundaries in a matter of minutes, and this gives me and any horse I work with a great starting point to work from.

Connection is built through clear, consistent communication, with respectful boundaries established for both parties.

www.tanjakraushorsemanship.com

The Horse Report

Flexi-Fibre®

Flexi-Fibre

Fibre provides root structure, similar to grass roots in turf, to existing or new sand-based riding surfaces. Fibre improves the surface stability, therefore the horse will work ‘on top’ of the surface rather than ‘through’ it.

Our Flexi Fibre is a mixture of polypropylene, polyester and nylon Fibres which are the base material to all of our surfaces worldwide and similar to all other top surface suppliers. We

Australian conditions and manufacture here in Australia, enabling us to produce at very competitive rates.

• Improves preformance

• Improves stability of new or existing sand surfaces

• Enhances drainage

• Long lasting

The Horse Report Tor Van Den Berge Represents Australia

The 2025 FEI Driving World Championship for Pair Horses took place in Beekbergen, The Netherlands, where 24 nations and 89 combinations of the world’s best horses and drivers came together for four days of competition.

Australia’s sole representative, Tor Van Den Berge, proudly flew the Australian flag, competing with Leo and Nanda Van Der Burght’s KWPN geldings Jaquar, Jayton, and Lars VS.

The trio showed their strength and promise, producing personal bests across all three phases to finish mid-field in the highly competitive field.

Tor reflected on the significance of the event and the performance of his horses: “It was fantastic to represent Australia again at the World Pairs Championship. Where 24 Nations brought together 89 combinations of the best horses and drivers in the world. We took Leo and Nanda Van Der Burght’s wonderful pair who haven’t been together very long. It was great to share the experience with them.

The horses did their personal best in all three phases and finished mid field so we couldn’t be happier with them.”

Tor’s campaign began with a score of 55.39 in the Dressage phase, driving Jayton and Lars VS.

The team then moved into the Marathon

phase, where Jaquar and Jayton tackled the demanding course to finish on 110.28.

The competition concluded with the Cones phase, where Jayton and Lars VS produced a steady round with 13 penalties. This gave Tor a total score of 178.67, placing him 45th overall in a field of more than 80 combinations.

The World Championship was ultimately dominated by Hungary’s Martin Hölle, who claimed his fifth consecutive individual gold medal, helping secure Hungary’s seventh straight team title.

While the spotlight was firmly on Hungary’s historic achievement, Tor’s performance was an important reminder of the strength and determination of

Australian drivers on the world stage. By finishing mid-field against the best in the world, Tor and his team demonstrated the potential of Australia’s presence in international carriage driving. His achievement reflects not only his skill and experience but also the dedication of the owners, support team, and the horses themselves.

Equestrian Australia congratulates Tor Van Den Berge for his outstanding effort in Beekbergen and thanks him for once again representing Australia with pride.

Full results HERE

https://results.menuitslagen.nl/NED/BEE KBERGEN.20250820.20250824/

Tor Van Den Berge Represents Australia at Pairs World Championship

The Horse Report

RIDING PONY QLD YOUNGSTOCK SHOW

The RPSBS Queensland Committee will hold the 2025 Queensland Riding Pony Pageant show to be on Sunday, 9 November offering a great program for Riding Pony Youngstock that includes Yearling, two-year-old and threeyear-old Sweepstakes Futurities with cash prize pools. This year we will also include an improved Senior led and ridden program for Show Pony, Show Hunter and Overheight exhibits. Progeny and exhibitor group classes and dual-registration led and ridden classes. Plus as an added bonus we will be running a extra ring open to all breeds and non members catering for open hacks child's classes and beginners.

Programs will be available at www.rpsbs.com.au/qld/qld-events/ and entries for Riding Ponies will be via www.rpsbs.com.au - login Entries for ring 3 will be via www.nominate.com.au For enquires contact rpsbsqld@outlook.com

LISMORE SHOW

The North Coast National Lismore Show will be held over 3 days 16-17-18 October 2025 at the beautiful Lismore Showground.

Thursday - There will be an Australian Stock Horse Feature show along with the western and coloured breed classes.

Friday - Will have the Open Show & Show hunter Led Classes for Ponies Galloways & Hacks, Stud Book Pony, Australian Saddle Pony, Shetland, Welsh, Unregistered Pony, Brumby, Baroque, Warmblood, Arabian & Arabian Derivatives, Gypsy Cob, Heavy Horse, ANSA, Thoroughbred, Standardbred classes, Supreme led & supreme ridden Breed and The annual Champion of Champions sponsored by Horseland Lismore.

This year’s show will help celebrate 50 years of the Australian Riding Pony with a Feature Riding Pony Show with winners of these classes qualifying for the Jubilee Show to be held in conjunction with the 2026 Canberra Royal. The feature will cater for Youngstock, Show Pony, Show Hunter Pony, Over Height Show and Show hunter, Leading Rein, First ridden, child’s ridden classes with Champions in each section and a Supreme Champion Show Riding Pony and Supreme Champion Hunter Riding Pony

Saturday - will see the Maiden, Novice, Intermediate, Lismore LGA Hack Classes, Open Hack, Hunter and rider classes, plus Off the Track Classes. Champion Hack will receive the Verdun Smith Memorial Trophy and $100.

Supreme Champion Rider will receive the Peggy Fryer Memorial trophy and $100 and Supreme Champion Hack will receive the Noel Chittick Memorial trophy and $150.

Showjumping will be Friday and Saturday with approximately $3000 in prize money on offer For further information Email: entries@northcoastnational.com.au or visit www. northcoastnational.com.au

NIMBINSHOW

The Nimbin Country Show had its beginnings in 1919 and is the first show in the North Coast show circuit. The 2025 show will be held on 2021 September and is a traditional style agricultural show with horses, cattle, poultry, arts, crafts, fruits, vegetables, and horticulture. Saturday ring events will have classes for Showjumping, Stockhorses, Western Breeds The Netta Henson Memorial Event and a Gala Fun ring with bareback and fancy dress. Sunday ring events will feature led and ridden pony ANSAThoroughbred and Arabian breed classes , novice and open Hacks and Hunters and Rider classes

For more information: www.nimbinshowsociety.org.au

Email: secretary@nimbinshowsociety.org.au or phone 0457 614 433

NIMBIN SHOW 2025 20-21 September

Saturday - Showjumping, Stockhorses, Western Breeds

The Netta Henson Memorial Event and a Gala Fun ring with bareback and fancy dress.

Sunday - Led and ridden Pony ANSAThoroughbred and Arabian breed classes

Novice and Open Hacks and Hunters, Rider classes

Supreme Led and Supreme Hack For more information:

Email: secretary@nimbinshowsociety.org.au 0457 614 433 www.nimbinshowsociety.org.au

2025 RIDINGPONYPAGEANT

SUNDAY9 NOVEMBER

LAIDLEY SHOWGROUNDS

Yearling, 2 year old and 3 year old Sweepstakes Futurities Senior led and ridden program for Show Pony, Show Hunter and Overheight exhibits, Newcomer, Novice , Leading Rein and First Ridden classes, Dual registered and home produced Trophies Rugs Garlands and awesome prizes to be won

Entries via www.rpsbs.com.au - login Show entry queries to email: rpsbsqld@outlook.com

RIDING PONY PAGEANT RING3

CHILD’S / BEGINNER / OPEN HACK RING OPEN TO ANY BREED Day membership $10 enter for this ring via www.nominate.com.au

North Coast National Lismore Show

16 - 17 - 18 October 2025

Thursday - Australian Stock Horse Feature show, Palominos, Paints, Appaloosa, Pintos, Buckskins, Roan, Quarter Horses, Miniature Pony, Miniature Horses, Small Horses, Little Horses, Supreme western or coloured exhibit Stock Horse Challenge (open to ALLBreeds)

Friday - Open Show & Show hunter Led Classes for Ponies Galloways & Hacks Stud Book Pony, Australian Saddle Pony, Shetland, Welsh, Unregistered Pony Brumby, Baroque, Warmblood, Arabian & Arabian Derivatives, Gypsy Cob, Heavy Horse, ANSA, Thoroughbred, Standardbred, Supreme led & supreme ridden Breed CHAMPION OF CHAMPIONS - SPONSORED BYHORSELAND LISMORE

RIDING PONY STUD BOOK FEATURE SHOW - JUBILEE QUALIFIER

Youngstock, Show Pony, Show Hunter Pony, Over Height Show and Show hunter Leading Rein, First ridden, child’s ridden classes Champions in each section Supreme Champion Show Riding Pony -- Supreme Champion Hunter Riding Pony

Saturday - Maiden, Novice, Intermediate, Lismore LGAHack, Classes Open Hack, Hunter and rider classes, plus Off the Track Classes, Open Hack Hunter, Galloway Showjumping - Friday and Saturday Approximately $3000 in prize money

VERDUN SMITH MEMORIAL TROPHY FOR CHAMPION HACK - S1OO

THE PEGGY FRYER MEMORIAL PERPETUAL SUPREME RIDER OF THE SHOW . S1OO NOEL CHITTICK MEMORIAL, SUPREME CHAMPION HACK - S15O

Email: entries@northcoastnational.com.au www. northcoastnational.com. au

The Horse Report

NNSW ALL BREEDS SHOW

The NNSW all breeds show will be held at a new venue this year the Casino Showgrounds starting at 9am on Sunday, 28 September 2025. There is an awesome program with Led and Ridden Classes for All breeds. There is a two ring format for Ponies, Galloways & Hacks, Off the Track classes loads of sashes trophies and prizes o offer major awards include the Supreme Champion Led Stallion of the Show, Supreme Champion Led Mare of the Show, Supreme, Champion Led Gelding of the Show, Supreme overall led (Marjorie Clark Memorial), Supreme Champion Rider of the Show (Greg Potts Memorial), Supreme Champion Hack of the Show (Ward Rippon Memorial), Supreme Champion Hunter Hack of Show.

There will also be Beginners / Pony club ring for those just starting out in the show ring or that don’t have show gear that is informal an non plait and features a fancy dress class

Entries are on the day this year at $4 per class or $40 per horse for unlimited classes

Aground fee of $5 per vehicle will be charged at the gate on entry For show Enquires: Email. nswshowhorse@gmail.com

MURWILLUMBAH PONY CLUB CAMP

The Murwillumbah Pony Club will be holding a two day camp on 910 October 2025 including our annual club ribbon day.

Instruction will be provided in show jumping, sporting, showriding, dressage, obstacles and lots more.

The program offers something for riders of all ages and interests from the lead line under eight riders up to associates rider 17 yrs and under 26 yrs, plus a special section for adult riders of any age.

The club operates out of the Murwillumbah Showgrounds and offers great facilities, stables, camping, canteen, new dressage arenas, jumping and sporting equipment, qualified instructors and friendly, helpful members.

Nominations are essential to attend the camp. For further information contact Paula on 0413 733 294 or email cobakibob@bigpond.com

28TH SEPTEMBER

HOLIDAY CAMP

Murwillumbah

The Horse Report

WEB SITE DIRECTORY

($44 for 6 months or $77 for 12 months

 Animal Itch & Skin Remedies - www.animalitch.com.au

 Country Scene Saddlery - www.countryscenesaddlery.net

 County Saddlery Qld - www.countysaddlery.com

 Country Park Animal Herbs...www.countrypark.com.au

 DeMeulenkamp (QLD) Itch Rugs..www.premiumequine.com.au

 EFAQueensland... www.qld.equestrian.org.au

 Embroidered saddlecloths - www.clubcoloursdirect.com.au

 Eq Land Developments .....www.equestrianlanddevelopments.com

 Equine on the web ... www.equineontheweb.com

 Equilibrium Mineral Mix... www.equiaustralia.com.au

 Equestrian On line ... www.equestrianonline.com.au

 Feed XL... www.FeedXL.com

 Fordsdale Farm Stay ……. www.fordsdalefarmstay.com

 Gallagher Electric fencing ... www.gallagher.com.au

 Gold Coast Horse.... www.goldcoasthorse.com.au

 GG’s Horse Transport ..... www.ggshorsetransport.com.au

 Greystone Manure Vacuums ... www.greystonevacuums.com

 GEOHEX Ground Stabilisation ..... www.geohex.com.au

 Have Horse … Will Travel www.havehorsewilltravel.com.au

 Healing for Horses ...www.healingforhorses.com.au

 Horse Transport … www.manuelequinetransport.com.au

 Horse Transport … www.goldcoasthorsetransport.com.au

 Horse Floats … www.mcneilltrailers.com

 Horseland..... www.horseland.com.au

 Kentucky Equine Research...www.ker.com

 Kulavale Equestrian... www.jennykunde.com

 Lisa McCann Herbs ....... www.lisamccannherbs.com.au

 Mitavite ... www.mitavite.com.au

 Mobile Livestock Inspector...www.tickmanagement.com.au

 Nathan Trailers at Nerang... www.nathantrailers.com

 National Equestrian Wholesalers .... www.natequest.com.au

 Natural Hoof care ..... www.hoofworksaustralia.com

 Natural equipment ...www.naturalequipment.com.au

 Neds Bed Horse & Dog O’Tel..... www.nedsbed.com.au

 New England Girls School . www.negs.nsw.edu.au

 Norco..... www.norcorural.com.au

 Omega Feeds .....www.omegafeeds.com.au

 Pharmachem ... www.pharmachem.com.au

 Redlands Vet Clinic ... www.redlandsvetclinic.com.au

 Replay Classifieds... www.replayclassifieds.com.au

 Riding for the Disabled............ www.sunshinecoastrda.com

 Saddleworld......

 Stance Equine Feeds.......... www.stanceglobal.com

 StockGuard Electric Fencing.....www.stockguard.com.au

 Southwood Saddlery... www.southwoodsaddlery.com.au

 The Horse Report ... www.thehorsereport.com

DR KATHERINE DODD BVSc/BVetBiol. BAppSc (Eq.)

DR KATRINASWIFT BVSc/BVetBiol. BIntBus

Email:byronbayhorsevet@gmail.com

Website: wwwbyronbayequinepractice.com.au

20 years experience Servicing SE Qld

Services Andrew Williamson - 0428 488 838

A record of movement (ROM) must be submitted prior to entry into NSW - https://appcattletick.bfs.dpi.nsw.gov.au

Resources: : NSW DPI Biosecurity https://www.dpi.nsw.gov.au/biosecurity/managing-biosecurity/forms

NSW DPI cattle tick record of movement https://app-cattletick.bfs.dpi.nsw.gov.au

NSW legislation www.legislation.nsw.gov.au

QLD cattle tick zones & accredited certifiers for cattle tick https://www.business.qld.gov.au/

We recommend speaking with one of our authorised officers on 0429 185 136 or email cattletick@dpi.nsw.gov.ua prior to bringing animals into NSW.

Department of Regional NSW

• 100% dried, cooked & ground coconut

• Superior amino acids compared to grain

• May be beneficial for conditioning, weight gain, coat shine and hoof health

• Is a low NSC, high energy feed

• Great source of fibre, protein and oil

• Chemical and GMO free, aflatoxin tested

• Fed around the world for over 30 years

• Scientifically balanced formula rich in vitamins, minerals, amino acids, enzymes and essential fatty acids

• Helps keep horses in peak condition

• Suitable for competition

• Available in 10kg, 6kg and 3kg

The Horse Report

Kolbeach Holly’s OpaL

Price: $ 15,000.

Height: 13.1hh

Reg: SHC, EA, Riding Pony, Saddle

Pony

Colour: Bay

Sex: Mare

YOB: 2018

Sire: Kolbeach Holly’s Gold

Dam: Holly’s Gemstone

Burnewang Diamonds and Roses

Price: $ 3,500.

Approx 13.0 hh

Reg: Riding Pony

Black/Brown

Mare

YOB: 2020

Sire: Janlyn Spirit of Holly

Dam: Burnewang Satin Rose

Frankie is a beautiful modern type of show pony with an absolutely amazing temperament, nothing seems to faze her – side shows, fireworks, chainsaws etc. She is a great sand and mud runner and is excellent to ride bareback and on trail rides. Frankie is a pleasure to own, extremely easy to prepare for shows, clip, wash, great traveler and not marey, matey or horse shy. Frankie is for sale as we now have several ponies in the one height class and more young ones coming through. Please no time wasters – No photo/video collectors please!

Contact: Catherine Ph: 0429 777 661

Hanley Park Cutie Patootie

Price: $ POA

13.3 7/8 hh

Reg: SHC & EA Grey Gelding

Sire: Imperial Placido

Dam: Amaranda Catalina

Champion Childs SHC 2023 Champion Childs EA2023

Champion Childs Northern NSWHack Championships 2023 Grand National Top 10 Childs Large Show Hunter Pony 2023 1st Show Hunter Gelding EKKA2024. Many Champions, Reserves & Supremes at Ag shows Placed at every Royal he’s been entered in.

The time has come for Karl to find a new family to love him like we do. He will make a perfect interschool pony. He loves to jump and is very successful in the show ring. Loves a trail ride. Ridden bareback & loves a beach trip.

This is a very sad sale for Rubee but due to having a Galloway now and schooling commitment’s it’s time for another family to enjoy him. He’s easy to clip, shoe and float.

Current x-rays available Vet check welcome

Lots of photos and videos available on request. Only genuine enquiries as this is a hard sale for us.

Contact: Amber Ph 0416 172 205

Rose is a sweet, pretty, light across the ground mare, ready to be broken in. Successfully foal shown. Comes from a family of very well performed ponies. Video available. For sale by breeder. In paddock condition.

Contact: Rosie Ph 0408 573 033

Ulah Missy Higgins

Price: $8,000. 13.1 hh

Reg: SHC

Bay Mare

YOB: 2018

Sire: Rathowen Song and Dance

Dam: Morningside Soprano

Nina is a super going little mare that is ready for a capable child rider. She is in her second season of showing and just placed top 3 in her novice classes at Toowoomba Royal, under very soggy conditions. Nina is consistent in her work and requires minimal work down.

Nina has farm life experiences, can live by herself or in a mob. She isn’t super marey and is great to handle on the ground. Nina would happily go to pony club, pop over jumps and go mustering. Genuine sale of a good little mare, as rider is pregnant. All the hard work is done!!

Contact: Arabella Creagh Ph 0417 770 608

Location: Meandarra QLD - 4422

The Horse Report

ALPINE PARK HIGHLIGHT

Price: $ 25,000.

Height: 14.1 1/2 hh

Reg: Riding Pony & Part Welsh

Colour: Bay

Sex: Gelding

YOB: 2019

Sire: Alpine Park Royal Glance

Dam: Roseagle Spring Show

Alpine Park Highlight (Barci) is a young genuine gelding with a promising career ahead of him. He has 3 beautiful paces, a very kind quiet nature with an easy trainable temperament. Barci has no dirt or vices, correct conformation, with clean straight legs. No lunging required prior to riding. He has just commenced his Show Ring career under saddle at Agricultural Shows with outstanding results qualifying for Royal Shows. Also Champion in hand in Open & Breed Ring classes.

He travels very well and is a pleasure to handle in the Show Ring environment. Barci is currently being prepared & campaigned by a 16 yr old girl. He would suit a Lady looking for a highly competitive mount or experienced teenager. Video available. Can be viewed at Heath Hill - VIC.

Contact: Dianne Faye Proctor

Ph: 0408 842 655

SANLIRRA WHISTLER

Price: $8,000.

Height: 15.0 hh

Reg: Riding Pony

Colour: Bay

Sex: Gelding

YOB: 2015

Sire: Lyrics

Dam: Sanlirra Prunella

Walt started in the show ring at the end of 2021 and since then has been very lightly shown. He has attended some unofficial dressage days, Lucy Williams’s bio & pole clinics popped over small jumps and loves trail riding. Currently has 4wins for the season.

He is well educated and an enjoyable ride, but he can be a scaredy-cat at times which makes him not suitable for a nervous rider. Would benefit from more exposure out. Has some quirks in regard to clipping and new people handling him. Would make a great all-rounder.

Contact: Tegan Jaeschke

Ph: 0409 292 853

Braefoot Park Silkflower

Price: $ 25,000. 14.3 7/8 hh

Reg: Part Welsh, RP, SHC , EA, ANSA, Arabian Deriv.

Bay Mare

Sire: Braefoot Park Royal Occasion

Dam: Class Wisteria

Diva has a lovely soft mouth and sits in a nice frame with minimal contact. She has 3 balanced paces, and a BEAUTIFULLengthen trot. Easy to take out on her own or in a group. Diva has been extensively shown and attended pony club and dressage comps.

Diva has already tried her hand at jumping, pony club, shows, dressage & games. Diva has attended pony club camp and competed successfully at gymkhanas and shows always coming home with broad ribbons and in the supreme lineup both led and ridden.

Diva is an exceptional Rider class mount. she has carried her rider to many state and national titles. Diva has taken everything in her stride and is now ready for her next capable rider to continue her success with.

For sale as we have outgrown her and moved onto a hack. we also have other babies requiring our attention. Diva is best suited to a capable rider or a lady’s mount to continue to bring out the best in her.

Contact: Lynda Blanch Ph 0408 411 191

CALIBRE

Price: $ 6,000.

Height: 16.3 1/2 hh

Reg: SHC

Colour: Liver Chestnut

Sex: Gelding

YOB: 2010

Sire: Tale of the Cat

Dam: Shalimar Lara

Ollie is a liver chestnut, 14yr old thoroughbred gelding, officially measured at 16.3 ½ hh and is registered with the SHC and has an OTTB passport. Perfect to float, clip, shoe and show prep. He is well behaved off property and loves the show environment.

He has had a successful 2024 season, winning champion or reserve at most outings. Some of his past placings include Runner Up Large Show Hack at the 2024 SHCWAClassic qualifying him for the SHC Grand Nationals. He competed at his first Perth Royal Show 2024 winning Novice Hack over 16.2hh and the Open Hack over 16.2hh. Due to his size, he would excel with a confident rider and handler. Ollie has had a break over Christmas and will be coming back into work in the coming weeks, ready for the 2025 season. He is located in Upper Swan, Perth.

Contact: Jess Knight

Ph: 0455 235 393

The Horse Report

SIRRAH TRADITION

Price: $ POA.

Height: 12.0 hh

Reg: SHC, EAand Riding Pony

Brown Sex: Gelding

Sire: Rising Sovereign of Beckworth

Dam: Robbanie Ribbons of Velvet

George is one of those ponies that does not come around often for sale as he is a true mother’s dream! He has done so much in his first season qualifying for all his classes for 2025 grand nationals and also now qualified for lead rein, first ridden and his open for 2026 Grand Nationals.

George is fully qualified for Adelaide Royal.

George at his first Grand Nationals qualifier carried my 6 yr old in lead rein and first ridden to win and also carried my 4 yr old in the tiny tots rider. At his first ag show sienna was riding him around. He requires minimal work, can go with others or on his own. He has been ridden by ages from 4 to 14 completely at shows. George has the best temperament and would be one of the easiest, nicest natured ponies I have been around, the kids can do everything with him and I have never had to worry. He is very honest and so kind. He is amazing to float, clip, tie, shoe. He has no vices and is sound, full vet check is welcome. He loves the Beach, and a jump. This is a very hard sale, and we do not mind if he doesn’t sell.

Contact: Naomi Karutz Ph: 0425 198 277

WOODVIEW TUXEDO

Price: $5,000.

Height: 10.0 hh

Reg: APSB

Colour: Pinto

Sex: Gelding

YOB: 2022

Sire: TBA

Dam: TBA

Teddy has a quiet nature and has recently been professionally broken in. He is great around kids but not ready for a small child rider as he needs to become more established with a competent rider to further his education. He will make a top saddle Shetland or would even make a super harness pony. Teddy is a top quality Shetland and will have a huge future in the right home.

Contact: Chris Symmons

Ph: 0499 498 866

PAULGREN PARK VICTRESS

Price: $ 12,500.

Height: 13.3 hh

Reg: Part Welsh x Arabian Riding Pony

Colour: Palomino

Sex: Mare

YOB: 2020

Sire: Paulgren Park Victory

Dam: Ramana Park Diva

4 yr old Palomino Show Pony

Part Welsh, ARP, APSB, NSWPalomino Society and Australian Saddle Pony registrations this stunning mare is offered for sale. “Prinny” is a beautiful 4 year old with three lovely paces and turns heads wherever she goes.

She has done in hand showing as a yearling and competed successfully at the Sydney Royal. She has now been started kindly under saddle and is working well. Prinny is bred to perform and will make a competitive show or dressage pony.

Contact: Zoe Stokes Ph: 0421 420 393

RIVINGTON TIZZ N TONIC

Price: $ 17,000.

Height: 11.3 7/8 hh

Reg: EA, SHC, WPCS, ASPA, APSB Black Gelding

Sire: Rivington Spring Rain

Dam: Elargee Tiz Thyme

Tony is a top show hunter pony that will make a huge star in the future. He has outstanding movement, and is very comfy and easy to ride. Tony has been shown by both an adult and a 10yo, and competed in leading rein, qualifying for EAnationals in his first season.

Tony has competed successfully in dressage, loves to jump and go on trail rides. My 2yo son rides Tony on the lead and he is very sensible. He has huge potential to be an amazing child’s/first ridden/leading rein pony with more education and exposure.

Although Tony has a lovely nature and easy to do everything with, we feel Tony would be best suited to a family who has a small adult, older child or rider that is able to further his education and make him into an amazing child’s pony he is already becoming. Because of this, he will not be sold to any beginners or inexperienced homes.

This is a heartbreaking sale and Tony is only for sale as my son isn’t overly interested, therefore we feel Tony is being wasted, when he should be loved by another family.

Contact: Jaimee Ph: 0427 798 035

Turn static files into dynamic content formats.

Create a flipbook
Issuu converts static files into: digital portfolios, online yearbooks, online catalogs, digital photo albums and more. Sign up and create your flipbook.
Horse Report September 2025 digital editionF by the horse report - Issuu