The Horse Report October 2022 edition

Page 1

ONLINE EDITION 71 OCTOBER 2022 I NI N T H I ST H I S I S S U E :I S S U E : * B r i s b a n e C D I* B r i s b a n e C D I * E q u i n e P r o p e r t y M a i n t e n a n c e* E q u i n e P r o p e r t y M a i n t e n a n c e - A r e n a C o n s t r u c t i o n- A r e n a C o n s t r u c t i o n - M a n u r e r e m o v a l- M a n u r e r e m o v a l - R u b b e r m a t t i n g- R u b b e r m a t t i n g * S t u d a n d B r e e d i n g f e a t u r e* S t u d a n d B r e e d i n g f e a t u r e - M a g i c B r e e d F o a l i n g A l a r m s- M a g i c B r e e d F o a l i n g A l a r m s - G e s a t i o n p e r i o d s & b r e e d i n g m a r e s- G e s a t i o n p e r i o d s & b r e e d i n g m a r e s - D i e s t s f o r m a r e s a a n d f o a l s- D i e s t s f o r m a r e s a a n d f o a l s - F o a l N u t r i t i o n- F o a l N u t r i t i o n - S t a l l i o n s a t s t u d- S t a l l i o n s a t s t u d * E q u i n e H e a l t h & N u t r i t i o n F e a t u r e* E q u i n e H e a l t h & N u t r i t i o n F e a t u r e - E l e c t r o l y t e s & h e a t s t r e s s- E l e c t r o l y t e s & h e a t s t r e s s - J o i n t & B o n e S u p p l e m e n t s- J o i n t & B o n e S u p p l e m e n t s * F E I D r i v i n g W o r l d C h a m p i o n s h i p s* F E I D r i v i n g W o r l d C h a m p i o n s h i p s * F E I W o r l d E v e n t i n g C h a m p i o n s h i p s* F E I W o r l d E v e n t i n g C h a m p i o n s h i p s * T r a i n i n g T i p s w i t h T a n j a K r a u s* T r a i n i n g T i p s w i t h T a n j a K r a u s * Z o n e 1 5 P o n y C l u b J a m b o r e e* Z o n e 1 5 P o n y C l u b J a m b o r e e Celebrating 22 years in publishing Gut Health Joint Support Omega-3 Balance Vitamins & Minerals Feeding solutions for laminitis-prone horses, ponies and donkeys Applied science for your horse ne pplied science eed g so horses Advanced solutions in... www.farmalogicglobal.com f l i l b l

The Horse Report

Email: cobakibob@bigpond.com

Email: cobakibob@bigpond.com

The Horse Report

2022 The Saddlefitter Brisbane CDI wrap up

The Saddlefitter Brisbane CDI & Queensland State Dressage Championships was held at Queensland State Equestrian Centre (QSEC) from 15 - 18 September where 175 riders and 226 horses completed 415 tests. Spectators were welcomed during the four days of competition with free entry and on top of the full program of dressage, there was a lot of great shopping to be done in the Horse and Co Trade Village.

On Saturday 17 September, riders and spectators enjoyed the FEI Freestyles and additional educational demonstrations which includedSaddle fitting for competition and the high performance horse presented by The Saddlefitter How to activate your horse’s core and more presented by Dr Narelle Stubbs

Starting lateral work presented by Gary Lung (pictured below), featuring the Off The Track Showcase supported by QOTT For the 10th year, the annual

2022 Remi Stud Young Rider Scholarship presentation was also made on Saturday with the hanoverian weanling 'Remi Valdemar S' by Remi Vigneron and supporting prizes (total package value of over $30,000) being presented to the winner Georgia Creed.

Congratulations to event director Anita Barton and her army of supporters behind the scenes, what a marvellous event and the premier dressage event on the Queensland calendar!... finally an FEI International event after three years of trying.

The event was such a success once again due to the continued support of Kathryn SullivanButt, The Saddlefitter - the prin-

cipal sponsor, judges, stewards, volunteers, photographers, videographers and livestream team.

Congratulations to all riders and their beautiful horses, you all no doubt came away with an achievement or learnings from the event and we look forward

to seeing you next year. Missed out on the action, then view the Livestream replays Part one of Saturday’s stream includes the ‘Starting Laterals QLD Off The Track Showcase’ presented by Gary Lung, the IHB CDI Under 25 Grand Prix, the Remi Stud Scholarship presentation, ‘Saddlefitting for Competition and the HighPerformance Horse’presented by The Saddlefitter, and the Petstock Caboolture Intermediate I Freestyle.

https://fb.watch/fFn_Z00Mxk/

Part two of Saturday’s stream includes ‘How to Activate your Horses Core & More’presented by Dr Narelle Stubbs, as well as the Intermediate A/B Freestyle, County Saddlery CDN Grand Prix Freestyle, and Hygain CDI Grand Prix Freestyle.

https://fb.watch/fFnQgjwEc-/

www www .thehorsereport.com - mob 0413 733 294 - Email: cobakibob@big pond.com.thehorsereport.com - mob 0413 733 294 - Email: cobakibob@big pond.com Page 3
N THIS ISSUE Paralympic hopefuls Australian World Cup Nutrition for pregnant mares Equine colour genetics Does my horse need calming supplement? Celebrating 20years E-magazine advertising - Full page $150 - 1/2 page $100 - 1/4 page $60 - Business card $30 Advertising bookings Ph - 0413 733 294 - Email: cobakibob@bigpond.com Free advert design service https://www.facebook.com/The-HorseReport-202678616409634/ Print magazine advertising - Full page $650 - 1/2 page $470 - 1/4 page $260 - Business card $100 Available Quarterly as a print magazine and Monthly as a digital E-Magazine visit www.thehorsereport.com formore information orto view back issues of digital magazine N TH S SSUE: Green Banana supplement Equine Gastric Ulcers Hemp feed for horses Joint supplements Training tips with Tanja Kraus C b t g 21 t b thd y 2021 Ekka COVID N THIS ISSUE Equitana opportunities Wandin eventing Cushings Healthy Hooves C l b ti g 20y Health Support & Minerals Eventer John Twomey Photocredit'PixbyAlex' N TH S SSUE d C S p Pictured right: Remi Stud Young Rider Scholarship winner Georgia Creed with Remi Valdemar S, Kirsty, Cheryl (Remi Stud owner) and Charlotte (2019 winner).

The Horse Report

Manure removal will improve your pastures

Have you ever counted how many piles of manure your horse generates each day?

Most horses defecate between 814 piles a day, give or take.

Consider this quantity spread across your pasture over many months and even years.

If your horse doesn’t defecate in one or two specific areas, then you are likely to have more manure littering your pasture than grass.

Being selective grazers, your horse tends to avoid grazing grass that has been contaminated with manure.

This means that not only is your pasture dirty, but your horse has fewer grassy areas to graze. It might seem like a staggering project to consider removing manure from your fields, but there are definite benefits besides providing more grazing opportunities.

Cleaning manure from pastures accomplishes several important things:

* It reduces internal parasite contamination;

* It eliminates breeding habitats for flies; and,

* It minimizes adverse effects on water sources from drainage across a manure-ridden pasture

The old-fashion style of using a bucket and a rake is quite effective, but labor-intensive.

Pik-A-Poo is quickly becoming Australia's champion tow-behind paddock cleaner, designed specifically for cleaning up horse, cow and sheep manure from your paddocks.

It also does a great job picking up rocks, sticks, and leaves.

And also, when spun around into 'trailer mode' it can also be used to carry bales, bags, buckets and any other heavy items around your property with ease.

Everyone loves a clean and green paddock for equines.

But no one likes the dreaded job of constantly cleaning them up. So why not make it a fun and easy job instead.

Get your Pik-A-Poo paddock cleaner and hook it up behind your quad, tractor, ute, or whatever you have to tow it with. Simply fix the ropes to your towing point and jump back in the seat.

Set off around the paddock with the V-shaped scoop skimming over the ground.

As you drive the Pik-A-Poo across the manure it picks it up and collects it in its tray. It's that easy

When you have a full tray simply tow to the Pik-A-Poo paddock cleaner to where you want to empty it and tip it over emptying the contents, flip it back on its side and away you go.

It is made by Ox Equipment Group in Warwick, Queensland and is backed with a lifetime warranty and sold through your local reseller.

For a stockist near you contact George on 0439 644 263 or email sales@oxequipmentgroup.com.au

For more information visit the website at www.Pik-a-poo.com.au

Everyone loves a clean & green paddock for equines. The Pick-A-Poo will help achieve this for you.
Page 4 www www .thehorsereport.com - mob 0413 733 294 - Email: cobakibob@big pond.com.thehorsereport.com - mob 0413 733 294 - Email: cobakibob@big pond.com
PIK A POO the name says it all Australia’s Champion Horse Paddock Cleaner Saves you time effort and money www.pik-aa-ppoo.com.au * V Shaped Scoop * Large 300mm Opening capacity * Quiet 3000 kg Rated rope towing system * 3mm Australian Galvanised Steel Tray * Clean your paddocks in a 1/4 of the time * Cleans and acre in under 10mins * Makes the task fun and easy CONTACT GEORGE 0439 644 263 FOR YOUR NEAREST STOCKIST Equine Property Maintenance feature

The Horse Report

Equine Property Maintenance

Taurus Mats – Repurposed Rubber Matting

Low energy manufacturing process, carbon negative, permeable, extremely hard wearing, custom made - engineered to suit client requirements, flexible, stainless-steel fastening, multi-purpos transportable, 100% Australian re-purposed tyres/conveyor belt save waste and create a circular economy, Australian made.

Agricultural/Equine Areas of Use:

Shelters, livestock processing areas, loading ramps, water point access and egress, bogging areas, feed pads, bedding material, transportation flooring, erosion control, laneways

Shelters, livestock processing areas, loading ramps, water point access and egress, bogging areas, feed pads, bedding material, transportation flooring, erosion control, laneways

Tyre Water Trough

Benefits: Able to withstand the toughest horse abuse, potable water bladder, float valve, float valve protector, transportable, saves flooded paddocks and emptying tanks.

Agricultural/Equine Areas of Use

Shelters, livestock processing areas, loading ramps, water point access and egress, bogging areas, feed pads, bedding material, transportation flooring, erosion control, laneways

Tyre Sled

Benefits: Saves labour and time collecting manure, able to work on all terrain, can be towed with ride on mower, ATV or vehicle, handy for transporting stockpiles of gravel, mulch, rock etc..

Tyre Feeder

Benefits: Able to withstand the toughest horse abuse, stainless fasteners (nut, bolt & washer) to avoid corrosion, heavy conveyor belt base to save cracking, singular or double deck.

For more information, visit our website: www.taurusmats.com.au or contact Owen Henry: 0405 725 762 or email owen@taurusmats.com.au

Email: cobakibob@b igpond.com

Email: cobakibob@b igpond.com

HEAVY CONVEYOR MAT TYRE MAT
www www .thehorsereport.com - mob 0413 733 294 -
.thehorsereport.com - mob 0413 733 294 -
Page 5
HEAVY CONVEYOR MAT TYRE MAT
TYRE MAT
TYRE SLED TYRE WATER TROUGH TYRE FEEDER
feature

Flexi-Fibre

Fibre provides root structure, similar to grass roots in turf, to existing or new sand-based riding surfaces. Fibre improves the surface stability, therefore the horse will work ‘on top’ of the surface rather than ‘through’ it.

Our Flexi Fibre is a mixture of polypropylene, polyester and nylon Fibres which are the base material to all of our surfaces worldwide and similar to all other top surface suppliers. We

Australian conditions and manufacture here in Australia, enabling us to produce at very competitive rates.

mob 0413 733 294 - Email: cobakibob@bigpond.com

mob 0413 733 294 - Email: cobakibob@bigpond.com

Page 6 www www .thehorsereport.com - Ph 07 55909721 -
.thehorsereport.com - Ph 07 55909721 -
The Horse Report Flexi-Fibre®
• Improves preformance • Improves stability of new or existing sand surfaces • Enhances drainage • Long lasting EQUESTRIAN SERVICES PTY LTD. Email tim@equestrianservices.com.au Mobile 0475 917 605 www.equestrianservices.com.au ABN 76 602 073 021 ACN 602 073 021 EQUESTRIAN SER ICES SERVICESEQU E N SE S CEES CQUESTRIAN E VICES E Equine Property Maintenance feature

Equine Property Maintenance feature

The Horse Report

07 55909721 - mob 0413 733 294 - Email: cobakibob@bigpond.com

07 55909721 - mob 0413 733 294 - Email: cobakibob@bigpond.com

www.thehorsereport.com - Ph
.thehorsereport.com - Ph
Page 7

Stud & Breeding Feature

The Horse Report

Detecting when mare is ready for foaling

Since 1980 (now 40 years), Magic Breed has been the trusted name for both breeders and horse enthusiasts to help ensure successful foaling.

The new Magic Breed Plus builds on this worldwide reputation and brings the Magic Breed design into the 21st century with improved range, battery life and many other new features.

Minimise loss of sleep and long hours of supervision around foaling time - the non-invasive transmitter attaches to the halter and detects when the mare has laid in a foaling position.

The Magic Breed Plus system is also useful for detecting colic and for monitoring horses after major surgery.

Typically, in the late term of pregnancy, a mare will avoid lying flat on its side until it enters labour.

The Magic Breed Plus system uses this well-documented behaviour to help alert owners that the mare has laid down to commence foaling

Atransmitter containing a special sensor called an accelerometer is attached to the mare’s halter. The accelerometer allows the transmitter to determine the direction of the ground and therefore it can detect when the mare has laid on her side.

When the transmitter detects that the mare is in the foaling position is will begin timing and after a short delay it will alert the receiver, which will sound an alarm.

Note: Some mares are very active and will even temporarily lay in the foaling position prior to foaling.

This results in false alarms, so it’s important to be able to easily and temporarily silence any foaling alarms.

The Magic Breed Plus makes this easy. The Magic Breed Plus system is comprised of two main components - the receiver (base station) and transmitter.

The transmitter is attached to the mare and sends wireless signals to the base station for reporting when it has detected that the mare is foaling.

RECEIVER

The receiver is a dark grey unit which has a power supply and antenna connected at the rear. Up to 8 transmitters can be used with a single receiver.

TRANSMITTER

Magic Breed Plus transmitters are battery powered and contain an accelerometer which enables it to sense the orienta-

tion of the mare’s head.

Detecting when the mare is laying on its side with its head on the ground is how the transmitter determines if the mare is in a foaling position.

The transmitter is secured in place under the mare’s chin using a halter fitted with a transmitter pouch.

The pouch is fitted to the halter using the four Velcro straps.

Pouches are manufactured from high quality Weathermax® canvas and should last many foaling seasons but if required replacements are available for purchase.

The pouch is designed to work with both the original Magic Breed and the new Magic Breed Plus transmitters.

Once the pouch has been fitted to the halter, the transmitter

How the Magic Breed Plus Foaling Alarm
www www .thehorsereport.com - Ph 07 55909721 - mob 0413 733 294 - Email: cobakibob@bigpond.com.thehorsereport.com - Ph 07 55909721 - mob 0413 733 294 - Email: cobakibob@bigpond.com Page 9
07 5453 4355 www.magicbreedplus.com.au
Works

Stud &

The

55909721

mob 0413 733 294 - Email: cobakibob@bigpond.com

55909721 - mob 0413 733 294 - Email: cobakibob@bigpond.com

Page 10 www www .thehorsereport.com - Ph 07
-
.thehorsereport.com - Ph 07
Horse Report
Breeding Feature
www www .thehorsereport.com - mob 0413 733 294 - Email: cobakibob@bigpond.com.thehorsereport.com - mob 0413 733 294 - Email: cobakibob@bigpond.com Page 11 The Horse Report Byron Bay & Gold Coast Equine Veterinary Practice Absolutely dedicated to the welfare and health of horses Dr Khiani Mortimer – 0413 905 259 Dr Kevin Squire – 0478 838 511 OFFICE: 0413 414 534 EMAIL: byronbayhorsevet@gmail.com Thanks to our lovely Vet Tech – Jen Meehan, help with your horse’s health is now easier than ever. Dr Khiani Mortimer A local equestrian from Bilambil Servicing the entire Gold Coast, Byron & Tweed Shires Equine Veterinary Practice –All Horse Health Care NOW OFFERING: Pulse Wave Treatments and Deep Heat Laser Therapy for optimal orthopaedic performance SERVICING BYRON BAY AND THE GOLD COASTBAY AND THE + E VERY WHERE IN BET WEEN INCLUDING:+ EVERYWHERE BETWEEN Tweed, Mur willumbah, Mullumbimby, Bangalow & BallinaTweed, Murwillumbah, Mullumbimby, Bangalow & Ballina • Chiropractic • Dentistry • Hoof Care • Shoeing Advice • Reproduction • Digital X-ray • Colic • Skin Conditions • Hoof Balancing • Hoof Reconstruction • Ultrasound (high quality) for Tissue Scans Special Interests: • Chiropractic • MusculoSkeletal • Orthopaedic • Lameness • Laser Deep Heat • Pulse Wave • Thermogram Stud & Breeding Feature
Page 12 www www .thehorsereport.com - mob 0413 733 294 - Email: cobakibob@bi gpond.com.thehorsereport.com - mob 0413 733 294 - Email: cobakibob@bi gpond.com The Horse Report 15.2hh QH Stallion Q-71336 $2200 plus vet & agist 15 2hh Stallio Service Fee Standing at TFD Equine Veterinary Services Brent Eastwell 570 Warning Willowvale Rd Willowvale 0437722441 2021 Warwick Gold Cup Reserve Champion Won or placed in over 60 events not including countless cutouts NCHA 2014 Futurity Finalist Progeny kicking goals in multiple disaplines Contact Kara and Jamie Gray 0488 414 891 Email: jaracc@bigpond.com Maria Jackson and Shez Sum DuckScott McNaughton and Spinning Down Sam Kime and Sonava Duck inc GST g Senorita Playboy (USA) Sire: Playboy Roy (IMP) Genuine Rose (USA) Acres Destiny (IMP) Dam: Blitzem Duck Oaks Fancy DuckingStud & Breeding Feature
www.thehorsereport.com - mob 0413 733 294 - Email: cobakibob@bi gpond.com.thehorsereport.com - mob 0413 733 294 - Email: cobakibob@bi gpond.com Page 13 GLENARTHON SIT N SPIN Service Fee $1,100 Stud & Breeding Feature GLENARTHON STOCKHORSE STUD Colleen McQueen 0429 334 041 Email glenarthonstockhorses@hotmail.com
Page 14 www www .thehorsereport.com - mob 0413 733 294 - Email: cobakibob@bi gpond.com.thehorsereport.com - mob 0413 733 294 - Email: cobakibob@bi gpond.com The Horse Report Anakins Friesian Sporthorse Boutique Breeding Stud presents SAMPSON VAN GORSUCH Friesian Warmblood Stallion. 16,3 3/4 hh 10 yrs Supreme National Halter Horse - Amazing Temperament & Confirmation Frozen or chilled available Anakins Friesian Sporthorse Boutique Breeding Stud Email sampsonvangorsuch@gmail.com - Ph 0423 427 656 Stud & Breeding Feature
Photo - Jodie Humble (JEM Photography)Artwork - Ellen Roberts by Catherine Stewart
www www .thehorsereport.com - mob 0413 733 294 - Email: cobakibob@bi gpond.com.thehorsereport.com - mob 0413 733 294 - Email: cobakibob@bi gpond.com Page 15 The Horse Report
Proudly Owned
Contact - 0432 794 528 - catherinelinke94@hotmail.com - Bracewell Qld 4695 Stud & Breeding Feature
Page 16 www www .thehorsereport.com - mob 0413 733 294 - Email: cobakibob@bi gpond.com.thehorsereport.com - mob 0413 733 294 - Email: cobakibob@bi gpond.com The Horse Report Stud & Breeding Feature enq@hiform.com.au 03 97756422 www.hiform.com.au

Stud & Breeding

The Horse Report

Gestation periods and breeding mares

Mares are highly seasonal when it comes to breeding, with their most fertile period, being from the end of winter (August) to start of autumn (March).

For this reason, mares are termed “long day breeders” as the breeding season occurs during summer when daylight hours are longest.

Mares are termed “seasonally polyoestrus” which means that they have a well-defined breeding season with multiple heat (oestrus) cycles, as well as a nonbreeding season, or anoestrus, during winter when daylight hours are shortest.

Each cycle, or oestrus, lasts an average of 21 days; though in the height of summer the cycle can shorten to 18 days.

During each oestrus cycle, the mare will be unreceptive for 16 days (known as dioestrus) and then accept the stallion for the last 4-5 days.

This is when she is “on heat”.

Ovulation occurs approximately 24 hours before the end of the oestrus cycle.

This is the best time to breed the

mare either by natural cover or artificial insemination techniques.

Veterinarians can check the mare’s ovaries with an ultrasound scan to determine when she is likely to ovulate and therefore improve the chance of

pregnancy.

If the mare conceives, her pregnancy will then last 11 months (length of pregnancy can be anywhere from 310 to 365 days).

If she does not conceive, then she will have another oestrus cycle.

340 Day Gestational Table

Veterinarians can perform ultrasound scans to confirm pregnancy at 15 days and 45 days after either natural cover or artificial insemination.

To get an idea when you mare will be due to foal check out the gestation table below.

Feb. 1Jan.

Feb. 2Jan.

1June. 8Aug. 1July. 8 Sept. 1Aug. 9

10May. 2Apr. 9June. 2May. 10 July. 2June. 9Aug. 2July. 9 Sept. 2Aug. 10

Feb. 3Jan. 10Mar. 3Feb. 9Apr. 3Mar. 11May. 3Apr. 10June. 3May. 11July. 3June. 10Aug. 3July. 10 Sept. 3Aug. 11

Feb. 4Jan. 11Mar. 4Feb. 10Apr. 4Mar. 12May. 4Apr. 11June. 4May. 12July. 4June. 11Aug. 4July. 11 Sept. 4Aug. 12

Feb. 5Jan. 12Mar. 5Feb. 11Apr. 5Mar. 13May. 5Apr. 12June. 5May. 13July. 5June. 12Aug. 5July. 12 Sept. 5Aug. 13

Feb. 6Jan. 13Mar. 6Feb. 12Apr. 6Mar. 14May. 6Apr. 13June. 6May. 14July. 6June. 13Aug. 6July. 13 Sept. 6Aug. 14

Feb. 7Jan. 14Mar. 7Feb. 13Apr. 7Mar. 15May. 7Apr. 14June. 7May. 15July. 7June. 14Aug. 7July. 14 Sept. 7Aug. 15

Feb. 8Jan. 15Mar. 8Feb. 14Apr. 8Mar. 16May. 8Apr. 15June. 8May. 16July. 8June. 15Aug. 8July. 15 Sept. 8Aug. 16

Feb. 9Jan. 16Mar. 9Feb. 15Apr. 9Mar. 17May. 9Apr. 16June. 9May. 17July. 9June. 16Aug. 9July. 16 Sept. 9Aug. 17

Feb. 10Jan. 17Mar. 10Feb. 16Apr. 10Mar. 18May. 10Apr. 17June. 10May. 18July. 10June. 17Aug. 10July. 17 Sept. 10Aug. 18

Feb. 11Jan. 18Mar. 11Feb. 17Apr. 12Mar. 19May. 11Apr. 18June. 11May. 19July. 11June. 18Aug. 11July. 18 Sept. 11Aug. 19

Feb. 12Jan. 19Mar. 12Feb. 18Apr. 13Mar. 20May. 12Apr. 19June. 12May. 20July. 12June. 19Aug. 12July. 19 Sept. 12Aug. 20

Feb. 13Jan. 20Mar. 13Feb. 19Apr. 14Mar. 21May. 13Apr. 20June. 13May. 21July. 13June. 20Aug. 13July. 20Sept. 13Aug. 21

Feb. 14Jan. 21Mar. 14Feb. 20Apr. 15Mar. 22May. 14Apr. 21June. 14May. 22July. 14June. 21Aug. 14July. 21 Sept. 14Aug. 22

Feb. 15Jan. 22Mar. 15Feb. 21Apr. 16Mar. 23May. 15Apr. 22June. 15May. 23July. 15June. 22Aug. 15July. 22Sept. 15Aug. 23

Feb. 16Jan. 23Mar. 16Feb. 22Apr. 17Mar. 24May. 16Apr. 23June. 16May. 24July. 16June. 23Aug. 16July. 23 Sept. 16Aug. 24

Feb. 17Jan. 24Mar. 17Feb. 23Apr. 18Mar. 25May. 17Apr. 24June. 17May. 25July. 17June. 24Aug. 17July. 24Sept. 17Aug. 25

Feb. 18Jan. 25Mar. 18Feb. 24Apr. 19Mar. 26May. 18Apr. 25June. 18May. 26July. 18June. 25Aug. 18July. 25Sept. 18Aug. 26

Feb. 19Jan. 26Mar. 19Feb. 25Apr. 20Mar. 27May. 19Apr. 26June. 19May. 27July. 19June. 26Aug. 19July. 26 Sept. 19Aug. 27

Feb. 20Jan. 27Mar. 20Feb. 26Apr. 21Mar. 28May. 20Apr. 27June. 20May. 28July. 20June. 27Aug. 20July. 27 Sept. 20Aug. 28

Feb. 21Jan. 28Mar. 21Feb. 27Apr. 22Mar. 30May. 21Apr. 28June. 21May. 29July. 21June. 28Aug. 21July. 28 Sept. 21Aug. 29

Feb. 22Jan. 29Mar. 22Feb. 28Apr. 23Mar. 31May. 22Apr. 29June. 22May. 30July. 22June. 29Aug. 22July. 29 Sept. 22Aug. 30

Feb. 23Jan. 30Mar. 23Feb. 29Apr. 24Apr. 1May. 23Apr. 30June. 23 May. 31July. 23June. 30Aug. 23July. 30Sept. 23Aug. 31

Feb. 24Jan. 31Mar. 24Mar. 1Apr. 25Apr. 2May. 24May. 1June. 24June. 1July. 24July. 1 Aug. 24Aug. 1Sept. 24Sept. 1

Feb. 25Feb. 1Mar. 25Mar. 2Apr. 26Apr. 3May. 25May. 2June. 25June. 2July. 25July. 2 Aug. 25Aug. 2Sept. 25Sept. 2

Feb. 26Feb. 2Mar. 26Mar. 3Apr. 27Apr. 4May. 26May. 3June. 26June. 3July. 26July. 3Aug. 26Aug. 3Sept. 26Sept. 3

Feb. 27Feb. 3Mar. 27Mar. 4Apr. 28Apr. 5May. 27May. 4June. 27June. 4July. 27July. 4 Aug. 27Aug. 4Sept. 27Sept. 4

Feb. 28Feb. 4Mar. 28Mar. 5Apr. 29Apr. 6May. 28May. 5June. 28June. 5July. 28July. 5 Aug. 28Aug. 5Sept. 28Sept. 5

Feb. 29Feb. 5Mar. 29Mar. 6Apr. 30Apr. 7May. 29May. 6June. 29June. 6July. 29July. 6 Aug. 29Aug. 6Sept. 29Sept. 6

30Mar.

31Mar.

30May. 7June. 30June. 7July. 30July. 7Aug. 30Aug. 7Sept. 30Sept. 7

31May. 8Aug. 31Aug. 8

www www .thehorsereport.com - Ph 07 55909721 - mob 0413 733 294 - Email: cobakibob@bigpond.com.thehorsereport.com - Ph 07 55909721 - mob 0413 733 294 - Email: cobakibob@bigpond.com Page 17
Breed Date Day 340 Breed Date Day 340 Breed Date Day 340 Breed Date Day 340 Breed Date Day 340 Breed Date Day 340 Breed Date Day 340 Breed Date Day 340
8Mar. 1Feb. 7Apr. 1Mar. 9May. 1Apr. 8June. 1May. 9July.
9Mar. 2Feb. 8Apr. 2Mar.
Mar.
7May.
Mar.
8May.
Feature What date will my mare foal based on stallion service date

Equine Health Feature

The Horse Report

Good diets for your mares and foals

The birth of a foal is an amazing feat of nature and an exciting time for an owner. Nutrition of both mare and foal plays a very important role in the growth and development of the foal so ensure you have all the information you need to formulate a wellbalanced ration throughout lactation.

Preparing for foaling

In the weeks before foaling, accustom your mare to the feeds she will need once the foal is born.

For an easy keeper pregnant mare, this may mean introducing just a small amount of any new feeds you plan to give her after the birth.

Most mares will actually need a larger hard feed during the late stages of pregnancy to maintain body condition and this makes the transition to the post-foaling diet simple.

Introduce a DHArich omega-3 oil such as fish oil or a marine-sourced omega-3 balancer in the last two weeks of pregnancy and until the foal is at least two months old. This assists with the mare's recovery from foaling and provides essential nutrition for development of the foal's brain and nervous system.

Changes in nutrient requirements

After foaling, your mare's protein and energy requirements are higher than at any other time in her life.

It is not unusual to have to feed more hard feed, in a more energy dense form, than she has ever needed before.

Even when fed as much as she will eat, a lactating mare may still lose weight during the first months of lactation.

Unwanted weight loss can be minimised by feeding three or more small hard feeds per day in addition to all the quality hay and pasture she can eat.

Remember to provide clean water at all times and to make all dietary changes gradually and introduce new ingredients over a two-week period to allowgut microbial populations to adapt.

Roughage is the basis of a healthy ration

The first rule of good horse nutrition is to feed plenty of roughage - pasture, hay or chaff.

Unless your mare is overweight, it is safe to feed as much grass-based roughage as she will eat. Alactating broodmare may consume as much as 50% of her daily intake as concentrate.

Add the appropriate amount and type of protein

Lactating mares and their foals need high quality protein in their diets rich in lysine, a key amino acid which they are unable to produce in their bodies.

Lucerne and soybean meal are an effective option for adding lysine to breeding horse rations and are commonly found in commercial feeds formulated for breeding horses.

Pure L-lysine can also be purchased and added as a supplement in carefully calculat-

Roughage forms the foundation of any well-balanced horse diet.

Alactating mare will be experiencing the highest demand for energy and protein than at any other time in her life. The percentage of the diet provided as an energy concentrate varies significantly depending on horse condition, pasture quality, age of the foal and horse breed. Unless your mare is grazing a pasture with quite a bit of clover in it, she will usually need a protein supplement to provide adequate amino acids to put into milk to support the growth and development of the foal.

Aquality vitamin/mineral supplement, marine-sourced omega-3s and salt are necessary to top up mineral levels and balance ratios to within optimum ranges.

ed amounts.

Chart 1 illustrates that during the first three months of lactation your mare will need around four times as much lysine as she did before conception.

Your mare's mineral requirements will change too

It is critical to provide a vitamin and minerals to satisfy your mare's daily requirements and to correctly balance the mineral ratios across her entire diet.

Your lactating mare's requirement for some minerals is higher than during her pregnancy. The main increases relate to calcium and phosphorous needed for milk production (Chart 2); and for copper, iron and iodine.

As with mineral supplementation in all classes of horses, it is imperative that your lactating mare obtains all the minerals she needs, in carefully balanced ratios from all food sources.

Remember to check whether your feeds or

supplements contains salt, and if not, add 10g of plain salt (sodium chloride) per 100 kg of bodyweight to the daily ration.

Do I need to feed a commercial breeding horse pellet?

Atop quality breeding specific commercial premixed feed can simplify feeding if your mare requires the full daily recommended amount of the feed.

If she needs more or less calories than the feed provides, you will need to adjust the protein and mineral levels to avoid an oversupply or deficiency.

For this reason, in many cases it can be simpler to provide a protein source and a quality vitamin and mineral supplement separately from the energy source.

This allows you to easily change the diet in response to seasonal changes as well as your mare's changing needs through pregnancy to lactation and weaning.

 Continued page 19

mob 0413 733 294 - Email: cobakibob@bigpond.com

mob 0413 733 294 - Email: cobakibob@bigpond.com

Page 18 www www .thehorsereport.com -
.thehorsereport.com -

Equine Health Feature

The Horse Report

Foal nutrition from birth to weaning

 From page 18

If I mix my own concentrates, what sorts of feed should I use?

1. Extra energy to top up calories from roughage if required.

* Super Fibres - energy sources that are high in digestible fibre make an excellent basis for adding calories to the diet of broodmares. These include beet pulp, copra, soy hulls, other legume hulls such as lupin hulls or feeds made from these ingredients.

* Legume grains - the most commonly available is lupins. If you buy whole or cracked, it is best to soak them in water to soften prior to feeding.

* Cereal grains - oats contain starch in a form which is easily digested by horses when fed raw. Oats can be fed whole provided your mare's teeth are in good condition, but other cereals such as barley, wheat and corn are poorly digested unless cooked (boiled, extruded, micronized or pelleted).

* Cereal by-products such as wheat, bran and millrun are lower in energy and nutrients than whole grains.

* Fats and oils - can be used judiciously to boost the energy density of lactation diets but must be introduced very gradually to avoid upset.

It is important to carefully balance the omega-3 to omega-6 profile of the diet so choose linseed oil, coconut oil or canola oil and add fish oil or an omega-3 balancer.

2. Extra protein to top up amino acids - especially those high in lysine.

* Lucerne, clover or other legumes in hay or pasture.

* Full fat soybean meal has the best amino acid profile to meet horse requirements.

* Pure lysine as a supplement.

* Other common feeds such as lupins and copra are high in crude protein.

3. Vitamins and minerals

* Aquality vitamin and mineral supplement rich in macrominerals, trace minerals and vitamins.

Look for one designed to balance mineral ratios across the whole diet.

* Salt.

* Consider a probiotic live yeast (Saccharomyces cerevisiae) shown to boost forage utilisation, colostrum quality and milk production.

4. Healthy oils

* DHAis an omega-3 fatty acid, essential for brain and nervous system development. Also helps with mare and stallion fertility.

Continued page 20

Email: cobakibob@bigpond.com

Email: cobakibob@bigpond.com

Gut Health Joint Support Marine Omega-3 Vitamins & Minerals
www www .thehorsereport.com - mob 0413 733 294 -
.thehorsereport.com - mob 0413 733 294 -
Page 19
www.farmalogicglobal.com

Equine Health Feature

The Horse Report

Foal nutrition and the orphan foal

 From page 19

Feeding the foal

It is natural for a foal to copy the feeding behaviour of the mare so if she will share her hard feed with the foal there is no need to provide a 'creep feed.'

As the foal starts eating more grass, hay and hard feed and drinks less milk, the mare's feed requirements begin to reduce gradually. However, the total amount of food going into the mare and foal unit often stays almost constant until weaning to allow the mare to recover any body condition lost during early lactation and to feed the foal who now eats more grass, hay and hard feed and drinks less milk.

When the foal is three to four months of age, provide a portion of the mare's feed for the foal in a separate container placed next to the mare's feeder.

Over time, increase the foal's portion and reduce the amount given to the mare.

Weaning

At weaning, only provide the mare with hay and her vitamin and mineral supplements.

Withhold the hard feed for a few days until her milk dries up.

Consider giving both mare and foal a live yeast probiotic to help support gut microbial populations during the stress of weaning.

The foal should be given free choice access to pasture or grass hay and be a slightly larger hard feed than was given prior to weaning to compensate for the nutrition previously obtained from milk.

Monitor body condition carefully and reduce the size of the hard feed if necessary to avoid the foal becoming overweight.

Feeding an orphan foal

If you are unfortunate and need to care for an orphaned foal, seek veterinary advice.

Foals need colostrum during the first hours of life - many breeders will collect and maintain a frozen colostrum store and will often provide some to those in need.

Young foals require frequent feeding with a horse milk substitute.

As the foal gets older, gradually introduce

hay, grass and hard feed trying to mimic the amounts a foal would eat from their mother's feed. Be careful to balance the vitamin and mineral levels correctly.

Whether your foal is an orphan or feeding from the mare, it can be a wise investment (for your pocket as well as your horse's health) to seek the advice of a qualified equine nutritionist during these critical stages of life.

0413 733 294 - Email: cobakibob@bigpond.com

0413 733 294 - Email: cobakibob@bigpond.com

From orphaned foal to successful young dressage horse: Kristy-lee Brilliant hand raised this special baby relying on milk powder, a premixed breeding horse feed and Equine Vit&Min Premium Blend.
Page 20 www www .thehorsereport.com - Ph 07 55909721 - mob
.thehorsereport.com - Ph 07 55909721 - mob

- Ph 07 55909721 - mob 0413 733 294 - Email: cobakibob@bigpond.com.thehorsereport.com - Ph 07 55909721 - mob 0413 733 294 - Email: cobakibob@bigpond.com

www www .thehorsereport.com
Page 21 The Horse Report Equine Health Feature www.technyflex.com.au 1800 136 393

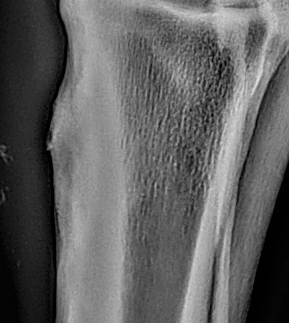
Feature Bone Gold radiographic report

Equine Health

The Horse

VETERINARY

RADIOGRAPHIC REPORT

HORSE: X XXXX XXXXXXX

MICROCHIP: …483

DATES OF EXAMINATION:

14TH APRIL

17TH MAY2021

14TH JUNE

PLACE: XXXX CANUNGRA

BONE Gold is a nutritional bone, joint, hoof and collagen supplement. Bone Gold was formulated to provide essential amino acids to help support collagen types I, II and III (found in bone and connective tissue).

Veterinary surgeons have recommended Bone Gold in horses for cases such as sore shins, tendon injuries,ligament injuries, laminitis, pedal osteitis, joint disease, osteoarthritis, fractures and postsurgery/arthroscopy. Veterinary Surgeons also recommend for dogs with polyarthritis, geriatric osteoarthritis, and post-surgery.

Here is a Veterinary radiographic report on a horse with a fracture to its left hind Cannon bone. Results are shown after treatment and feeding Bone Gold. More information on these products can be found at www.vetgold.com.au

R

14.04.21

BILATERAL HIND CANNON RADIOGRAPHS of X XXXX XXXXXX

Initially taken on 14th April 2021. Initial radiographs showed a 32mm longitudinal non displaced left mid cannon saucer fracture extending 6mm into the dorsal cortex and a 44mm longitudinal displaced fracture right mid cannon 5.5mm in depth mid dorsal cortex associated proximally with a 27mm x 6.5mm secondary fracture as below.

Initially, surgical removal was recommended of the RH fracture fragment.

Asecond series was taken on 17th May and third series on 14th June as above. Both fractures have attached and integrated with the parent bone with minor surface enthesophyte formation and periosteal activity evident.

RECOMMENDATIONS:

Surgery is no longer recommended; however, the colt should be monitored carefully for any swelling on either cannon.

Prognosis for full return to racing is good.

COMMENTS:

Fractures of this nature usually require surgical removal. Resolution of cortical fractures of this size without surgical intervention is not expected.

BONE GOLD SUPPLEMENTATION WAS INITIATED ON 14TH APRIL 21 AT 3 X SCOOPS/DAY AND SHOULD BE CONTINUED.

Andrew Watts B.V.Sc

www.vetgold.com.au

BONE

Page 22 www www .thehorsereport.com - mob 0413 733 294 - Email: cobakibob@bigpond.com.thehorsereport.com - mob 0413 733 294 - Email: cobakibob@bigpond.com
Report
H
R H 17.05.21R H 14.06.21
Please do not hesitate to contact Dr
if you have any further queries COAT GOLD SUPPORTS COAT HOOF & HAIR HEALTH Contains the essential Amino Acids and building blocks for the production Keratin HOOF GOLD NUTRITIONAL HOOF SUPPLEMENT Contains nutrients which have been found to contribute to the health of Hooves, Hair and Skin
GOLD SUPPORTS BONE JOINT HOOF & COLLAGEN HEALTH Contains nutrients to support Type I, II, III Collagen formation Equine & Canine Patent Formulas

EQUINE & CANINE PATENT FORMULAS

Equine

We are proud to announce the release ofour two new patent formulations, BONE GOLDTM and COAT GOLDTM in both the Equine and Canine presentations.

Our Formulas have been granted Innovative Patents as they present as totally unique in the market and are clearly differentiated from all other supplements.

Our new products have been produced with the same attention to detail with the highest quality pharmaceutical grade ingredients manufactured in an Australian GMP approved site.

Unlike most other supplements made in feed barns or pet food factories, this guarantees the quality and quantity of each ingredient in all our products.

VET GOLDTM products are made in the same laboratories as many Veterinary Pharmaceuticals with the highest quality control standards in the Australian Veterinary industry.

Our products are developed with specialist bio-engineers focused on ensuring maximising product effectiveness balancing ingredient ratios and particle sizes to optimise physiological uptake, digestibility and stability.

Extensive research and development in conjunction with clinical testing and observation by Veterinary Surgeons on clinical equine and canine cases is conducted on all our products.

Dr Watts has lectured at Equine Veterinary Association meetings, at the University ofQueensland and runs regular remedial Equine podiatry workshops in conjunction with Veterinary colleagues and Farriers in addition to running a busy clinical Equine Practice.

VET GOLDTM is a family owned Australian business that takes pride in all our product range with comprehensive personal support with any questions answered directly by Dr Andrew Watts and his stoic knowledgeable partner Mel Watts.

Please feel welcome to contact us anytime, we look forward to personally providing any technical or medical support or information regarding our products.

BONE

COAT

www www .thehorsereport.com - Ph 07 55909721 - mob 0413 733 294 - Email: cobakibob@bigpond.com.thehorsereport.com - Ph 07 55909721 - mob 0413 733 294 - Email: cobakibob@bigpond.com Page 23 The Horse Report Following the success ofHOOF GOLDTM and increasing demand from veterinarians, Farriers and clients we embarked on producing our next generation offormulas. NEW Equine & Canine Range EMAIL: info@vetgold.com.au WEB: www.vetgold.com.au
SUPPLEMENTS OF THE HIGHEST QUALITY
AVAILABLE FROM OUR ONLINE STORE ,VET CLINICS, FARRIERS AND REGIONALPRODUCES
Health Feature HOOF GOLD NUTRITIONAL HOOF SUPPLEMENT Contains nutrients which have been found to contribute to the health of Hooves, Hair and Skin
GOLD SUPPORTS COAT HOOF & HAIR HEALTH Contains the essential Amino Acids and building blocks for the production Keratin
GOLD SUPPORTS BONE JOINT HOOF & COLLAGEN HEALTH Contains nutrients to support Type I, II, III Collagen formation

heat stress and Summer

Heat stress in horses

Now that we are returning to summer there are many changes, we need to make to ensure our horses continue to function and feel at their best.

Although they can regulate their own temperature from a wide range of degrees it is important to note extreme heat can still have a detrimental effect.

It may be difficult to distinguish between actual heat stress and general sweat and rest. Know the signs coming into summer.

Signs include:

•Body temp of 40 degrees Celsius

•Hot to touch skin

•Excessive sweating and white foam

•Flared nostrils and shallow breathing

•Staggering or ‘drunken’gait

•Distressed

•Fatigue and collapse in some cases

Horses who are underfed and emaciated will be at higher risk for heat stress due to a lack of glucose and fuel to keep their body strong and working efficiently.

The same goes for obese horses, pregnant and older horses.

Heavier horses such as draft breeds or ponies originating from cold climates may also feel the heat more.

To prevent heat stress there are a few things we recommend.

Ensuring your horse has 24/7 access to water, to prevent dehydration. Adam can be beneficial in higher temperatures, so horses can have access to submerging themselves.

Providing large ice blocks in their water troughs can keep water temperature cool.

Alot of people worry their horse is not drinking enough water, this is usually never the case unless the horse is sick or suffering from a condition, in which case a vet should be called.

Simply adding salt to their diet will increase water consumption, but for all the wrong reasons.

Adding salt to feed is a common misconcep-

tion, salt is sodium in one form or another. This can have a negative impact as it can dehydrate the cells rather than replenishing lost nutrients through sweat.

If you think about it, when we have a salty meal we naturally need to drink more water, this is because the salt dehydrates our cells, the same works for horses.

Electrolytes on the other hand are wonderful in heat and to replenish minerals lost from sweat.

Most electrolyte formulas contain a combination of calcium, phosphorus, sodium, chloride, potassium and magnesium. The key to a good electrolyte supplement is in the ratio of these minerals, it is essential that they are supplied to the correct ratios to ensure optimal absorption and replenishment in the horse.

It is essential to keep to the recommended dose of electrolytes as an excessive amount can have negative effects on the horse.

Our ElectroPlus formula contains all the minerals at correct dosages for absorption with the addition of selenium and Vitamin C to add to the acid buffering/alkalising effect of the supplement.

ElectroPlus acts as a preventative from electrolyte imbalances because it ois a buffered acid/alkaline neutraliser, electrolyte and diuretic.

Other essentials to note would be ensuring the horse has access to shade. Providing a cooler area with cover and good airflow will take a lot of stress of your horses.

Everything from tree cover to shade sails or well-aerated loose boxes in paddocks all offer great solutions.

Horses who are stabled may be more at risk of heat stress because of the confined space and potentially warmer environment compared to outside temperature.

If there is no other option but to have your horse stabled, we strongly recommend some kind of air-conditioning or fan system to allow the horse to cool down properly.

Taking the horse out of the stable to be hosed down with cool water will also help in this situation. Ensuring the horse is kept cool throughout the day.

Australian summers bring excruciating temperatures and humidity for some up north. Higher temperatures and summer can also mean dry soil and dust for some places throughout Australia.

Dust can have a negative impact on the horses’respiratory system.

The main electrolytes are sodium, potassium, calcium, magnesium, chloride and phosphorus.

Minor electrolytes are iron, copper, zinc, cobalt, selenium, sulphur and iodine which are required in trace amounts.

One litre of sweat contains approximately 10 gm of salt (8 gms of sodium Chloride and 2 grams of potassium chloride).

ElectroPlus acts as a preventative from electrolyte imbalances because it is a buffered acid/alkaline neutraliser, electrolyte and mild diuretic formula.

ElectroPlus contains 10 tissue salts they are listed below: each tissue salt has a key role to play, some of these are indicated: calcium phosphate (cell builder), calcium sulphate (suppuration remover), calcium fluoride (tissue strengthener), potassium phosphate (nerve power activator), potassium sulphate (cell oxygenator), potassium chloride (congestion remover), sodium sulphate (problem fluid remover), iron phosphate (inflammation remover), magnesium phosphate (neuromuscular coordinator), sodium phosphate (metabolic acid remover) with the inclusion of zinc sulphate (insulin utilisation, sexual maturation, sperm function, RNAproduction, retina function, white blood cell function, alkaline phosphatase utilisation and liver function).

Hoses horses down with aid in cooling
The Horse Report Page 24 www www .thehorsereport.com - Ph 07 55909721 - mob 0413 733 294 - Email: cobakibob@bigpond.com.thehorsereport.com - Ph 07 55909721 - mob 0413 733 294 - Email: cobakibob@bigpond.com
 Continued page 25 Electrolytes,
Equine Health Feature
www.hiform.com.au - Ph 1300HIFORM T:03 9775 6422 ASK THE NUTRITIONIST PAGE specifically dedicated to questions and answers on Equine Nutrition, Herbal Medicine, Genetics, Common Diseases etc. INDIVIDUALISED EQUINE NUTRITION PROGRAM S customising a diet plan to suit the individuality of your horse.

The Horse Report

Managing stress levels in performance horses

Equine Health

Ph 07 55909721 - mob 0413 733 294 - Email: cobakibob@bigpond.com

- Ph 07 55909721 - mob 0413 733 294 - Email: cobakibob@bigpond.com

www www .thehorsereport.com -
.thehorsereport.com
Page 25
Feature www.technyflex.com.au 1800 136 393

BARREL RACING

www.abha.com.au

OCTOBER

1 - 2 Jundah, QLD

8 - 9 Adelaide Plains EqClub

15 Rawsonville Arena, Dubbo 22 - 23Tarcutta, NSW 30 Moonbi, NSW

NOVEMBER

5 Tarcutta, NSW

11 - 12 ABHA- 2022 EQUITANA

12 - 13 Rawsonville Arena, Dubbo 19 Moonbi, NSW 26 - 27 Diamonds 2 Dust WA

BREEDS

OCTOBER

1-3 Qld Pinto State Champs @ Caboolture

9 NNSW Allbreeds SHow @ Alstonville 0413 733 294

22-23 Top Of The Range Arabian Show 22-23 Qld Arabian HOTY@ Toowoomba

30 UEABreed Of The Year Show @ Mudgeeraba

CAMPDRAFTING/CUTTING /TEAM PENNING

OCTOBER

1-3 Goondiwindi draft

1-2 Rathdowney draft 0407 827 312

1 Kilcoy Cow Horse Birthday Bonanza 0408 962 381

1 HamiltonTas

1-2 Glenmorgan State School P&C Encouragement 0476 305 904

7-9 Noccundra draft

7-9 Percentile Cup 0458 507 047 7-9 Westmar Sports Club draft 0409 171 404 7-9 Inverell Sapphire City Spurs draft 0418 230 520

8-9 Taroom Spring draft 0427 858 623

14-16 Brymaroo Buckle and Bag Draft 14-16 Condamine Bell Open draft 0427 547 037 18-22 Chinchilla Grandfather Clock draft 0459 020 118 22-22 Powranna Tas 24-30 Warwick Gold Cup 0436 189 786 28-30 Injune Golden Bit draft 0427 230 221 29-30 Bell Campdraft

DRESSAGE.

www.qld.equestrian.org.au www.nsw.equestrian.org.au www.vic.equestrian.org.au www.sa.equestrian.org.au www.wa.equestrian.org.au www.nt.equestrian.org.au www.tas.equestrian.org.au

16 Sugarloaf Cobbitty 0427 114 195

16 Upper Hunter Dressage 0417 409 395

21- 22 QLD Dressage Riders Series QSEC

22 Goulburn 0459 622 505

Leeton 0419 873 321

23 NCEC Canberra 0418 303 868

23 Burpengary

30 Australian AOR DressageChamps

SIEC

NOVEMBER

Caboolture Dressage Group

Bemboka Show Dressage 0419 693 718

Grafton Riding Club 0418 677 238

Hawkesbury Dressage 0416 110 258

Singleton 0426 824 443

Young Dressage Club 0429 831 427

DNSW 0409 841 089

Wagga Wagga 0428 632 494

Manning Valley

Monaro Eq Club 0418 649 869

Namoi

Hunter Valley 0498 627 767

Camden 0407 734 148

Jindera Eq Club 0407 207 392

DISTANCE RIDING

DRIVING

OCTOBER

ENDURANCE

cobakibob@bigpond.com

cobakibob@bigpond.com

Page 26 www.thehorsereport.com - mob 0413 733 294 - Email:
.thehorsereport.com - mob 0413 733 294 - Email:
OCTOBER 1-2 Alexander Park 0419 873 321 1-2 Orana Eq Club 2 Toowoomba AAOR & Pony Spectacular 8-9 Tweed Valley Power of Pink 8-9 Armidale 0412 871 426 8-9 Jindera Eq Club 0407 207 392 9 Albion Park 9 Caboolture 9 Summerland Dressage 8- 9 Atherton Tablelands 13 - 16 Australian National Dressage Championships @ Boneo Park 16 Monaro Eq Club 0418 649 869
23
28-
@
6
6
5-6
6
6
5-6
12-13
13
19-20
19-20
19-20
26
27
27
www.tadra.asn.au OCTOBER 8-9 Blackbutt 29-30 Tenterfield
www.australiancarriagedrivingsociety.org\
1 - 2 Harness Classes @ Melbourne Royal 2 - 3 SACarriage Driving Champs 8 - 9 L3 CDE Marrar, NSW 29 Victorian Show Driving Champs @ Elmhurst
www.aera.asn.au / www.tadra.asn.au OCTOBER 1-3 NSW State Champs 0433 576354 1- 2 Tenterfield 0497 327 179 1-2 Biggenden 0427 589 424 1-2 Point Pass SA0424 370 169 8-9 Winton Endurance Ride 07 4658 9589 8-9 Del's Waterloo Challenge 0400 677 005 8 Denmark 15-16 Killarney 07 4666 1193 15 Johnny Green Memorial Tas 28- 30 Dergholm Championships 29-30 Oz Endurance Fernvale 0419 780 841 NOVEMBER 5-6 Central Ranges Zone 2 Chams 12-13 Oz Endurance Fernvale 0419 780 841 13 Tumbarumba Endurance Ride 18-20 Tasmanian State Champs INTER SCHOOL OCTOBER 3 Berry Interschool Championships 15 Dressage @ Pomona Showgrounds 23 Dressage @Fig Tree Pocket NOVEMBER 6 Show Jumping @ Fig Tree Pocket POLO/ POLOCROSSE www.polocrosse.com.au THE CALENDAR OF EVENTS IS AFREE SERVICE - PLAN AHEAD A CONTACT PAULA0413 733 294 O C A L E N D A CR A L E N D A R SHOWJUMP TIMING CONTACT @iinet.net.au PACKAGE 3 WEB

PONY CLUB

www.pcansw.org.au www.ponyclubqld.com.au www.ponyclubvic.org.au www.ponyclub.asn.au

NOVEMBER

4-6 NSW State Jumping Equetation Champs @ Kootingal 12 PCQ Masters Championships

DECEMBER

9-11 NSW State Show Riding Champs @ Glen Innes

REINING

www.reiningaustralia.com.au

OCTOBER

30 -2 SQRHARibbon Show Gatton

1-2 West Coast Reiners Open Show

15 QRHAClinic/High Point Awards QSEC 15 WARHAShow

RODEO

www.nationalrodeoassociation.com.au www.prorodeo.com.au www.pbraustralia.com.au

OCTOBER

1 Imbil Bull, Bronc & Barrels

1 Kyogle

8 Rockhampton

8 Injune

15 Crows Nest

15 Back of Bourke Rodeo

15- Aussie World Rodeo

22 - Lowood Rodeo

22 The Gem Hotel - Bull Ride

27-31 Warwick Rodeo

NOVEMBER

4 Murwillumbah Show - Bull Ride 5 Goombungee

5 - Wandoan Pro Rodeo

10-12 - National Finals - Gracemere

19 Penrith Xtreme Bulls

19 Gargett Rodeo

19 - Kapunda Rodeo SA

19 NRAFinals round 1 - Stanthorpe

26 NRAFinals round 2 Gympie

26 Streaky Bay Racecourse SA

SHOWJUMPING /EVENTING

www.qld.equestrian.org.au www.nsw.equestrian.org.au www.vic.equestrian.org.au www.sa.equestrian.org.au www.wa.equestrian.org.au www.nt.equestrian.org.au www.tas.equestrian.org.au

OCTOBER

1 Glen Innes

1 OTTSpectacular

1-3 Larapinta

6-9 Mirrabooka

8-9 Elysian Fields

8 Whitsunday Equestrian

12-15 JNSW State Showjumping

15-16 Toowoomba

15 Sunshine Coast Showjumping

16 Scenic Rim

23 Adelaide 3DE Showjumping World Cup

NOVEMBER

SHOWHORSE

www.agsshowsnsw.org.au www.qcas.net.au www.vicagshows.com.au www.sacountryshows.com

OCTOBER

7-8 Kyogle Show

9 NNSW Allbreeds Show @ Alstonville

8-9 Picton Show

8-9 Taree Show

14-15 Casino Show

20-22 Lismore Show

29 Beaudesert Show

30 UEABreed Of The Year Show @ Mudgeeraba

NOVEMBER

5 Murwillumbah Show

5 Frenchs Forest Show

6 Minto Show h

11-12 Dungog Show

11-13 Mullumbimby Show

11-13 Queanbeyan Show

12 Neville Show

18-19 Bulahdelah Show

18-19 Bangalow Show

19 Barraba Regional Show

20 Barraba SPRING Hack & Breed Show

25-26 Dorrigo Show

25-27 Northern NSW Hack Champs @ Grafton 0409 710 953

TRAIL RIDING & CTR

Australian Trail Horse Riders Association0418 438 807 www.athra.com.au

Alligator Creek 0407 117 998

Beaudesert Shire 0429 443 237

Beechmont & District 0419 737 253

Bouldercombe 0418 715 837

Breakaway 0408 712 851

Brisbane Valley 0428 750 145

Border Country Trail Riders 0409 224 605

Cairns Trail Horse Club 0408 727 616

Calen Trail & Sports Club 0412 804 974

Cooloola Trail riders Ph 07 5482 8436

CTHC-Caboolture ph 07 5498 6068

Curtis & District 0438 111 091

Dayboro Trail Riders to 0432 186 200 Email - dayboro.trailriders@gmail.com

Ipswich & District 0457 881 012

Logan River Redlands 0418 715 786

Mudgeeraba & Hinterland 0407 902 754

Nth West Qld Trail Riders 0429 309 280

Rathdowney Trail Riding 07 5544 1177

Richmond River Trail Horse Riders Club 0447 668 953 / rrthrc@gmail.com

Saturday Horse Activities 0408 361 215 SCATER www.scater.com.au

Ph: 07 5478 8676 or 0417 612 061

Somerset Trail Riding Club - 0418 438 807

Sunny Coast Trail Club - 0428 176 557

Tweed-Byron Trail Riders 0418 400 047

Toowoomba Trail Riders 0419 614 426

Toowoomba's Cumburrie 0429 663 397

Trail Riding Australia 0458 342 067

Wide Bay Trail Riders 07 4126 3456

www.aqha.com.au

www www .thehorsereport.com - mob 0413 733 294 - Email: cobakibob@bigpond.com.thehorsereport.com - mob 0413 733 294 - Email: cobakibob@bigpond.com Page 27
Spring Show Jump
& Tropical North Jumping Championships
Jumping Event
Show Jumping Cup
Aquis Champions Tour
Group
Champ
Jump Club
20 Scenic Rim 27 Sunshine Coast Showjumping
WESTERN
OCTOBER 8-9Murray River WPC Versatility Show 29 Gatton QH 29-30 GQHPAYouth and Ameatuer SHow 29 PQHA- Versatility Show NOVEMBER 17-20 Victorian State Show @ Tatura Park AND LIST YOUR EVENT HERE DON’T LET YOUR EVENT BE MISSED R Email: cobakibob@bigpond.com O F E V E N T OS F E V E N T S HOLIDAY CAMP . They offergreat facilities, stables, camping, canteen, new dressage arenas, jumping and sporting equipment, qualified instructors, friendly helpful members. Murwillumbah Showgrounds, Queensland Rd, Murwillumbah contact SeniorInstructor- Paula Anthony 0413 733 294 email : cobakibob@bigpond.com Murwillumbah Pony Club Show Riding, Dressage, Jumping, Sporting, Games, lots of fun * * ** * * 2 D A Y M I N I C A M P * * *2 D A Y M I N I C A M P * * * T h u r s d a y 6 t h & F r i d a y 7 t h O c t o b e r 2 0 2 2

Trainers feature

The Horse Report

Understanding the concept of using cues

The Cue

When it comes to our understanding of training our horses, the cue is a widely misunderstood concept.

Often we see people applying a cue to their horse in a way that is trying to cause the horse to physically move.

For example asking the horse to bend in the halter or with the rein and actually moving the head around with the halter or rein, instead of applying a cue and waiting for the horse to physically move their head.

If we think about watching live theatre or even a movie, all of those actors and actresses are playing their part once they have received their cue - for example, they might have to run, sit or move when they hear a word, or the other cast members do an action - those actors then move themselves.

Imagine how weird watching a movie would be if someone came and physically dragged or moved an actor to their new mark. Another example is when we teach a dog to 'sit', we may help him understand by lifting his nose, or pushing on his bum - we don't use these supports forever.

We expect the dog to hear the word 'sit' and then the dog performs the action.

Our horses are the same, it's just that our cue, instead of being a vocal instruction like 'sit' we use feel in the rein or lead to which the horse should then respond.

For more information on understanding cues and training, visit tanjakraushorsemanship@gmail.com www.tanjakraushorsemanship.com

Understanding what message you are trying to send your horse when using a cue. Be patient and acknowledge when they respond to a cue.

0413 733 294 - Email: cobakibob@bigpond.com

0413 733 294 - Email: cobakibob@bigpond.com

Page 28 www www .thehorsereport.com - Ph 07 55909721 - mob
.thehorsereport.com - Ph 07 55909721 - mob

Exell makes history securing Sixth World Championship

Despite the best attempts of his closest rivals, Australian Boyd Exell kept a cool head during a soaking final Cones round in Pratoni Italy to win a decisive sixth individual FEI Driving World Championship Four-inHand.

This has kepty his unbroken reign intact after his first gold 12 years ago in Lexington in the

United States.

Exell wasn't going to let his grip on the crown slip in Pratoni, putting in stellar performances across all three days of competition; leading from the very start.

With Dressage notoriously Exell's strongest phase, he secured a score of 34.13 challenging the rest of the field to chase him down.

"I love Driving, the score is only the icing on the cake," said Exell

of his early lead.

The Marathon phase saw Exell extend his lead even further, moving into the final day of competition six penalties ahead of the closest competitor.

On the final day of competition Exell drove a measured final round which saw him claim victory on a final score of 156.09.

"I have the pressure of having fantastic horses and you mustn't let them down.

“That's one of the hardest things – they are 15 years old now and so experienced.

“The team of people around me, all the helpers, it's about not letting them down too."

Fellow Australian Tor Van Den Berge also competed at the Championship event in Pratoni, making his FEI World Championships Four-In-Hand debut.

Boyd Exell at Pratoni World Championships on the marathon course. Photo credit: Libby Law
Flax Seed Oil provides the richest (almost 60%) natural source ofOmega 3, an essential fatty acid (EFA) which is not generally present in equine foods. Like all animals, horses cannot manufacture this essential fatty acid which is so important for their overall health.
www www .thehorsereport.com - Ph 0413 733 294 - Email cobakibob@bigpond.com.thehorsereport.com - Ph 0413 733 294 - Email cobakibob@bigpond.com Page 29 The Horse Report
Order online www.flaxseedaustralia.com.au or call 1800 255 288 60% Omega 3 content - Healthy Skin & Incredibly Shiny Coats - Strong Hooves & Joints

The Horse Report

Australian Eventing Team – FEI World Championships

Trainers feature

Five Australian combinations took on the world’s best in Italy recently at the FEI World Eventing Championships.

The historic location, which also hosted the Eventing Championships as part of the FEI World Equestrian Games in 1998, saw 89 horse-and-rider combinations compete in the competition from 26 different nations.

The Australian Team featured eight-time Olympian Andrew Hoy riding Vassily de Lassos alongside fellow Tokyo 2020 teammates, and silver medallists, Shane Rose riding Virgil and Kevin McNab riding Scuderia 1918 Don Quidam. Also on the Team, and making her FEI World Championship debut, was three-time CCI5*-L Adelaide winner Hazel Shannon riding Willinga Park Clifford. Twenty–six year old Shenae Lowings and Bold Venture also competed at the FEI World Championships in Pratoni as individuals.

The statisticians at Equiratings ranked Pratoni as the most competitive FEI Eventing World Championships ever held, and there's no denying that spectators were treated to two days of impressive dressage competition to kick off the event; including a star-studded lineup and some outstanding tests.

The dressage phase gave the Australian Team a great start to the competition, placing them fifth on the Leaderboard.

Kevin McNab and Scuderia 1918 Don Quidam produced the highest scoring Australian dressage test with a personal best CCI5*-L score of 25.7, which also sat them in 9th place individually.

For Shenae Lowings, the youngest rider representing Australia, the FEI World Championships also marked her first experience travelling overseas with a horse; and she certainly made an impression in the dressage arena.

Shenae and Bold Venture were awarded a score of 26.3 which saw the combination ranked 17th heading into the crosscountry phase.

“I couldn’t have asked for much more, he gave it his all. I am so grateful for him,” Shanae said.

“He tries his hardest and that is what he did out there.

“I had a few little blips in the first movement but we got ourselves back together and he executed the test really well. I am very happy with him.”

Cross-country day proved to be influential with many of the starting combinations finishing the course with costly penalties. The course was designed by Giuseppe Della Chiesa and set against the beautiful backdrop of the Castelli Romani National Park.

The course was made up of 30 fences or combinations over a distance of 5,600m with an optimum time of 9 minutes 50 seconds (570m/min).

There was also plenty of tradition including the notorious KEP Slide at fence 7.

This obstacle, a log perched on top of a steep slope, has featured at Pratoni since the Olympic Games in 1960.

The Australian Team started strong with Shane Rose and Virgil the pathfinders for the team.

has been produced through the grades by Hazel.

Hazel and Clifford looked spectacular out on course finishing with no jumping faults and 11.2 time penalties.

"He felt like he could go around again. He is always like that, there is no limit to his tank; but I don’t know if I could go around again. I think I used up all my energy and nerve,” said Hazel after the round.

Shenae Lowings and Bold Venture were the next pair to tackle cross-country, and they blazed through the course to jump clear and finish with only 8.4 time faults.

Kevin McNab and Scuderia 1918 Don Quidam faced the unimaginable when their rein broke midway through a combination out on the challenging course. "The horse was fantastic; he started really well. I wasn’t pressing him and he was just taking me to all the fences,” Kevin said.

“He was on fire and going by my watch I was a couple of seconds under time, and then between an Aand B my rein

broke.

"I had to pull right and slow him down.

“ Then grab the left cheek piece to stop him; and reach down to work out a way to tie the rein to the bit so that I could carry on and finish my round.

“That took me about a minute. When I got down to my next minute marker I was a minute over time; and then he finished a minute and two seconds over.

“So, as far as the horse is concerned he was clear and under time."

Kevin showed amazing horsemanship and skill to keep his cool and fix the situation under pressure.

The unfortunate rein break resulted in 20 jumping penalties for crossing his tracks while fixing his rein, and 24.8 time.

The final Australian Team combination out on course was stalwart Andrew Hoy on his famed “ginger unicorn” Vassily de Lassos.

The pair finished the course with an uncharacteristic 40 jumping penalties and 14.8 time.

Teammates Shane Rose and Virgil scored 31.5 (40th after dressage), Hazel Shannon and WillingaPark Clifford scored 30.3 (34th after dressage) and Andrew Hoy scored 28.1 (26th after dressage).

The seasoned combination set the pace finishing the round with no jumping faults and only 2.8 time penalties.

The next rider on course was Hazel Shannon and her special chestnut Thoroughbred WillingaPark Clifford.

Clifford, who is 17-years-old,

- Ph 07 55909721 - mob 0413 733 294 - Email: cobakibob@bigpond.com

- Ph 07 55909721 - mob 0413 733 294 - Email: cobakibob@bigpond.com

The Australia Eventing Team, flying the flag at the FEI World Eventing Championships in Italy. Kevin McNab and Scuderia 1918 Don Quidam. Hazel Shannon and Willinga Park Clifford.
Page 30 www www .thehorsereport.com
.thehorsereport.com
 continued Page 31

Trainers feature

The Horse Report

Veteran takes result at Championship in his stride

The ever-gracious Andrew, who was competing at his eighth FEI World Championships, was quick to point out that Vassily is still very much his special partner. "It just proves that horses are not machines,” Andrew said.

“Vassily is an absolutely fantastic horse. He doesn’t lose any credibility in my opinion for what happened.

“The rest of the round was absolutely fantastic. There were just two fences that weren’t, and they were very costly.

“We can all have bad days as human athletes, and also as an equine athlete."

Following the influential cross-country test, the Australian Team slipped down the standings to 10th place moving into the final showjumping phase.

All of the combinations jumped in reverse order of standing for the final phase, which saw Andrew Hoy and Vassily de Lassos enter the arena first for Team Australia.

The pair jumped well, finishing the round with one unlucky rail.

“I have to say I was very happy with the way he jumped,”Andrew said.

“It was a big course; it was a wide course. I rode him well and he jumped well.

“I was a long way from fence five when the pole actually hit the ground.

“I heard it hit one end first, so it must have just slightly rolled off one end. It is only the second rail I have had with him in his inter-

national career, so very, very happy.

"The great thing about this event is that Vassily is feeling really well.

“He has come out of it well. It is a good experience for him albeit I had the two errors.

“He doesn’t know where he finished on the

leaderboard, it is only all the spectators and the human athletes.

“To me he will always be my best friend, my soul mate, and one of the most exceptional horses I have ever ridden."

Andrew Hoy and his mount Vassily de Lassos.
www www .thehorsereport.com - Ph 07 55909721 - mob 0413 733 294 - Email: cobakibob@bigpond.com.thehorsereport.com - Ph 07 55909721 - mob 0413 733 294 - Email: cobakibob@bigpond.com Page 31
 From page 30
 Continued page 31

The Horse Report

Championship provides learning curve for Australians

Trainers feature

From page 31

Kevin McNab and Scuderia 1918 Don Quidam were the next to jump. The pair looked impressive as they tackled the Uliano Vezzani designed course, but unfortunately they too finished with one rail down.

Kevin said that even though things didn’t go his way, he will take away a lot from the experience

“I think you learn something every time you go out,” he said.

“It was no different this time around. I think having my time over again I probably couldn’t have prevented my round but I will be a little bit more prepared next time.

“I think it was a great event and I was really happy with my horse.”

Hazel Shannon and Willinga Park Clifford had five rails in the showjumping phase but despite the initial disappointment Hazel said she preferred to focus on the fact that she had finished her first FEI World Championships with a happy, healthy horse.

Clifford took notice of the electric atmosphere in the arena, which Hazel said had a significant impact on their round.

“He started off quite well but then he got his adrenaline up more and more and got a little less rideable,” Hazel said.

“That is where we had the rails. I think if he just stayed a little quieter he would have had a good shot at going clean.”

Despite the rails, Hazel is thrilled to have represented Australia on the world stage in Italy.

"It has been great. It is a goal I have been trying to reach for quite a long time,” she said.

“To come here and do it, and to have gotten through cross-country, and to go home with a fit and healthy horse is always a good thing.

“Now I have done it I want to do it again, and I know that I am capable of doing it. I want to come back and do better next time.”

Fellow FEI World Championships firsttimers, Shenae Lowings and Bold Venture, were the penultimate combination representing Australia and finished with three rails down.

Shenae Lowings and Bold Venture.

"When I got to walk the course I thought

'wow' it feels like we are at a Longines World Cup,”Shanae said.

“It was a bit of a shame that I had three down, but overall he jumped really well and handled the atmosphere.

“I was super proud of him. It is by far the biggest competition we have been to.

“To have him so relaxed and in his own rhythm is really good. I am really pleased with him."

Australia’s highest-placed combination and therefore the last to jump, was Shane Rose and Virgil. The pair, who are known for their showjumping form, looked fantastic as they took on the impressive course.

Unfortunately, they had one rail that resulted in four penalties, which dropped them to 13th on the leaderboard.

"He was amazing, he felt really strong, rideable and polite,”Shane said.

“He was amazing and I am really pleased. He is an old boy but he is still feeling as good as he did when he was a young horse.

"Really frustrated about that pole. Alot of people had been doing seven and I thought I would get down there in six and wait. We just got there too early and unfortunately rolled it behind.”

This is not Shane’s first time competing at an

FEI World Championship in Pratoni. He competed at Pratoni in 1998 riding It’s A Knockout. Shane said that the experience never gets old and keeps him looking forward to the next opportunity to represent Australia.

"I am really pleased to be here representing Australia again,” he said.

“Whenever you come to these big events it makes you want to come back again and I am as hungry as I ever have been."

At the FEI World Championships, the Australian Team placed 10th overall.

Will Enzinger, Chef d’équipe for the Australian Eventing Team, noted that regardless of the final standings all of the Australian Team members conducted themselves admirably.

“Despite the outcome not being what we had hoped for; we are proud of all of our athletes and the way they handled the challenges faced at Pratoni,” he said.

“We will only be stronger for the lessons learned. It was wonderful to see two athletes, Hazel Shannon and Shenae Lowings, representing Australia at World Championship level for the very first time.

“The professionalism they demonstrated, along with that of all the Australian athletes, should be commended.

"All of the Australian horses are going home happy and healthy in large part thanks to their grooms' diligent work over the course of the past few weeks.

“We are also appreciative for the support of our horses' owners who enable our athletes to represent Australia at these Championships and who play an integral role in our team."

Final Australian Results

Australian Team (Andrew Hoy, Kevin McNab, Shane Rose and Hazel Shannon)

10th – 174.3

Shane Rose and Virgil – 13th, 38.3

Shenae Lowings and Bold Venture – 29th, 47.1 Hazel Shannon and WillingaPark Clifford –39th, 61.5

Kevin McNab and Scuderia 1918 Don Quidam – 47th , 74.5

Andrew Hoy and Vassily de Lassos – 54th, 86.9

cobakibob@bigpond.com

Shane Rose and Virgil. Shenae Lowings and Bold Venture.
Page 32 www www .thehorsereport.com - Ph 07 55909721 - mob 0413 733 294 - Email: cobakibob@bigpond.com.thehorsereport.com - Ph 07 55909721 - mob 0413 733 294 - Email:

The

Health TheNextLeve NaturalHea

in

professionals and

horse people, where only the best will

www.thehorsereport.com - mob 0413 733 294 - Email: cobakibob@bi gpond.com.thehorsereport.com - mob 0413 733 294 - Email: cobakibob@bi gpond.com Page 33 The Horse Report
Next Level
Natural
H ProflamAid Plus is professionally formulated from science backed natural ingredients; herbal extracts and nutrients which support the horses' healing, immune response and joint function. Trusted by the
everyday
do. www.hiform.com.au

The Horse Report

MULLUMBIMBY SHOW 2022

The 2022 Mullumbimby Show will be held over the weekend of 12th and 13th of November. Exciting changes for the always beautiful main arena of the Mullumbimby show have been made for our Horse section entrants.

New timetables will be trialled to alleviate disruptions. The trotting displays will only run during the morning tea break from 10.30 till approx 11.15am then not recommence until the other events in the main ring have been completed on Saturday afternoon. The hack, breed and show jumping events, will leave the arena during all trotting displays.

The Mullumbimby Show committee and volunteers appreciate our horse competitor's assistance with ensuring these changes are implemented easily. The Main Ring will have hack, hunter and breed classes on Saturday including Youngstock feature classes. Get your creative ideas ready for the fun of the Fancy Dress class, anything goes class for horse and rider/handler.

The Far North Coast Branch of the Australian Stock Horse Society are providing prizes for our Australian Stock Horse Feature ring which has handler, hack and working classes for junior and senior registered Stock Horses. Our ever-popular Show jumping program will be run on Saturday with great cash prizes from our generous sponsors for the great selection of events. Trotting displays are again generously sponsored by Garrards Horse and Hound. One lucky driver will go home with a new RIO gig donated by Garrards. To help with new timetables within the Main Arena we ask for all trotting drivers to pre-nominate their entries - contact number for the trotting is John Ward 0418 254 695.

To avoid delays on competition day waivers can be downloaded at www.mullumbimbyshow.org.au to have ready to hand in on the day. Gate entry for all competitors is just $10 per adult and $5 for under 16yo (kids under 6yo FREE) Membership at just $15- per year for adults and $7.50 for under 16yo allows unlimited entry over both days of the show. Queensland Competitors are reminded that all stock must meet DPI border crossing spaying requirements. Programs and further information about all sections of the 2022 Mullumbimby Agricultural show can be found on our Facebook page orvia email to mullumbimbyshow2@gmail.com

mob 0413 733 294 - Email: cobakibob@bigpond.com

mob 0413 733 294 - Email: cobakibob@bigpond.com

Danni Milligan Photography Miranda Kerr Tony Bailey Ashley Cooper
Page 34 www.thehorsereport.com - Ph 07 55909721 -
.thehorsereport.com - Ph 07 55909721 -
Email: entries@northcoastnational.com.au www.northcoastnational.com.au 2022 Northern NSW Hack Championships 25th - 27th November 2022 Hawthorne Park Grafton NSW
2023 Grand National Qualifer Proudly presented by the Northern NSW Show Horse Assoc Enquiries Show Secretary - EleanorGerry 0409 710 953 Email: showsecnnsw@gmail.com Please note: All horses from QLD will need to be sprayed by a Qld accredted certifier or vet as venue holds cattle events on their grounds Follow us on facebook Northern NSW Show Horse Association JUDGES Simon De Leeuw
Entries close 27 October 2022 www mullumbimbyshow org au

The Horse Report

MURWILLUMBAH SHOW

The 120th Murwillumbah show wil be held, 4 & 5 November 2022

Gates open at 5.00 pm on 4/11 with the Friday Night Rodeo, food vendors, bars, live music with The Fat Albert Band & Sideshow Alley providing entertainment for all.

Horse Events commence early 5/11, beginning with the All-Breeds Classic classes at 8.00am, followed by a full program of Breed Classes, Off The Track Classes, Rider, Hack & Hunter Classes & Sporting Events. Champions of Led Breed classes will compete for Supreme Led Stallion, Supreme Led Mare & Supreme Led Gelding, with those Supreme winners competing for the prestigious QEII Silver Jubilee Trophy.

Champion Show Hunters and Working Hunters will compete for Supreme Hunter. Champion Pony, Champion Galloway & Champion Hack will compete for Supreme Hack. Showjumping program runs all day. Saturday entertainment includes Aussie FMX, Guy McLean plus a huge fireworks & pyrotechnic display.

Sideshow Alley, food & bar outlets open till late, with The Jacks rocking the Bushman's Stage from 8.30pm. Horse Schedules & Show Information available on the website www.murwillumbahshow.com.au or contact the TRAS Secretary P02 6672 5507 M 0427 725 507 or Email secretary@murwillumbahshow.com

PONY CLUB SCHOOL HOLIDAY CAMP

The Murwillumbah Pony Club will be holding School Holiday Mini Camp on 6 and 7 October, 2022. Instruction will be provided in show jumping, sporting, showriding, dressage, games and obstacles. This camp will be BYO food but the Thursday night there will be a pizza night. The club operates out of the Murwillumbah Showgrounds and offers great facilities, stables, camping, canteen, new dressage arenas, jumping and sporting equipment, qualified instructors and friendly helpful members. New members are welcome to join the club and join in the fun but riders from any club are welcome to come along. For further information or to received a Mini Camp nomination form contact Paula on 0413 733 294 or email cobakibob@bigpond.com

Email:

Email:

www www .thehorsereport.com - Ph 07 55909721 - mob 0413 733 294 -
cobakibob@bigpond.com.thehorsereport.com - Ph 07 55909721 - mob 0413 733 294 -
cobakibob@bigpond.com Page 35
HOLIDAY CAMP . They offergreat facilities, stables, camping, canteen, new dressage arenas, jumping and sporting equipment, qualified instructors, friendly helpful members. Murwillumbah Showgrounds, Queensland Rd, Murwillumbah contact SeniorInstructor- Paula Anthony 0413 733 294 email : cobakibob@bigpond.com Murwillumbah Pony Club Show Riding, Dressage, Jumping, Sporting, Games, lots of fun * * ** * * 2 D A Y M I N I C A M P * * *2 D A Y M I N I C A M P * * * T h u r s d a y 6 t h & F r i d a y 7 t h O c t o b e r 2 0 2 2 www.qld.equestrian.org.au Show Horse Queensland October 8 Rider Clinic - Park Ridge Contact Toni Harper Purcell - Ph 0439 732 645 October 9 Champions of Champions Hack Show - Park Ridge Contact EQ Office - Ph 07 3891 6611

The Horse

NORTHERN NSW SHC HACK CHAMPIONSHIPS

The Northern NSW Hack Championships will be held at the Hawthorne Park South Grafton from November 25 to 27 and is a qualifying event for the 2023 Show Horse Council Australasia Grand Nationals.

Events include riders, Open and Show Hunter classes including Newcomer, Preliminary and Amateur Owner classes, Children’s Day, Home produced and Off The Track Classes.

The Open classes will include a Home Produced award and the Childen’s class will include an Owner rider award. All entries are via the SHC Data base, visit www.showhorsecouncilaust.com.au

For further information contact theShow Secretary - Eleanor Gerry 0409 710 953 Email: showsecnnsw@gmail.com

NNSW ALL BREEDS SHOW

The NNSW all breeds show will be held at Alstonville Showgrounds starting at 8am on Sunday, 9th October 2022.

There is an awesome program with Led and Ridden Classes for All breeds plus Beginners Ring for those just starting out in the show ring

There is a two ring format for Ponies, Galloways & Hacks, Off the Track classes loads of sashes trophies and prizes o offer major awards include the Supreme Champion Led Stallion of the Show, Supreme Champion Led Mare of the Show, Supreme, Champion Led Gelding of the Show, Supreme overall led (Marjorie Clark Memorial), Supreme Champion Rider of the Show (Greg Potts Memorial), Supreme Champion Hack of the Show (Ward Rippon Memorial), Supreme Champion Hunter Hack of Show.

Entry fee is $40 per horse via www.manehub.com (includes ground fee, gate admission and entry into unlimited classes)

Entries to be completed before October 6

For show Enquiries: Email. nswshowhorse@gmail.com

.thehorsereport.com - Ph 07 55909721 - mob 0413 733 294 - Email: cobakibob@bigpond.com

.thehorsereport.com - Ph 07 55909721 - mob 0413 733 294 - Email: cobakibob@bigpond.com

Page 36 www
Report The Northern NSW Show Horse Association. Proudly presents T h e 2 0 2 2 N N S WT h e 2 0 2 2 N N S W A l l B r e e d s S h o wA l l B r e e d s S h o w Alstonville Showgrounds - 8:30am Sunday 9th October 2022 Led and Ridden Classes for All breeds & Beginners Ring 2 Ring format for Ponies, Galloways & Hacks, Off the Track classes Supreme Champion Led Stallion of the Show Supreme Champion Led Mare of the Show Supreme Champion Led Gelding of the Show Supreme overall led (Marjorie Clark Memorial) Supreme Champion Rider of the Show (Greg Potts Memorial) Supreme Champion Hack of the Show (Ward Rippon Memorial) Supreme Champion Hunter Hack of Show For show Enquiries: Email. nnswshowhorse@gmail.com Pre nominate by Thursday 6th October via www.manehub.com Entry fee - $40 per horse $20 for horses 3yrs and under not shown under saddle (includes ground fee, gate admission and entry into unlimited classes) F o l l o w u s o n f a c e b o o k N o r t h e r n N S W S h o w H o r s e A s s o c i a t i o n
Proudly presented by the Northern NSW Show Horse Assoc Enquiries Show Secretary - EleanorGerry 0409 710 953 Email: showsecnnsw@gmail.com orEmail: nnswshowhorse@gmail.com F o l o w u s o n f a c e b o o k N o r t h e r n N S W S h o w H o r s e A s s o c i a t o n 2022 Northern NSW Hack Championships 2023 Grand National Qualifer 25th - 27th November 2022 - Hawthorne Park Grafton JUDGES Tony Bayley - Vic Ashley Cooper - ACT Simon De Leeuw - NSW Kym Stewart - Qld Entries close 27 October 2022 Danni Milligan Photography

The Horse Report

GLENARTHON STOCKMANS CHALLENGES

Want a great affordable weekend out as a whole family???? The 2022 Genarthon Stockmans challenges will be held at Mallanganee Showgrounds October 1 & 2.

Come along and have some fun There is a lot on offer this year not only for the Open rider but for everyone .

There are Mini, Junior and Youth Challenges, encouragement and Rookie Challenges and Challenges for 2, 3 and 4 year old horses.

There will be a dinner and auction on saturday night at The West of The Range Pony Club Bar and the canteen will be open all weekend.

Entries are now open

For further information contact the Event Co Ordinator: Colleen McQueen 0429 334 041 Email glenarthonstockhorses@hotmail.com

Keep cattle ticks out of NSW

Horses and other grazing livestock entering NSW from the cattle tick infested zone of Qld MUST comply with the Mandatory Measures of the Biosecurity Order (Permitted Activities) 2017 regarding examination and treatment of livestock prior to entry into NSW.

Enquiries:

NSW DPI Biosecurity - www.dpi.nsw.gov.au/biosecurity/managing-biosecurity/forms

* Select Factsheets link at the bottom of page for Information on NSW cattle tick entry requirements

* Select blue button [Record of Movement form] to complete the required ROM Ph. 07 5536 4714 - For on-duty Compliance Officer contact details, or to leave a message www.daf.qld.gov.au - For accredited certifiers

QLD DAF call centre 07 3404 6999

733 294 - Email: cobakibob@bigpond.com

733 294 - Email: cobakibob@bigpond.com

www www .thehorsereport.com - Ph 07 55909721 - mob 0413
.thehorsereport.com - Ph 07 55909721 - mob 0413
Page 37
Ca ttle ticttle tic ks ar ar e notife ia ia b b le in NSWin NSW
Photos by Hoofprintz photography Ribbleton Freestyle owned and ridden by Joy Rychvalsky Supreme MEMBER'S Hack of the Show. Supreme Rider of the Show was awarded to Isla Grubisa Pictured are judges Marie Evans, Brook West, Yvette Vlies and Chris Arnold. Champion and Reserve Champion OTTLineup with judge Brook West and Belinda Burt from Racing Queensland Lorrie McNeil Grandchester Views Kevin Supreme Dilute exhibit Nawarrah Park Belladonna Raymont family Champion Show Hunter Pony Champion Racing Queensland Off-The-Track Horse under saddle "Exceed the Charge" exhibited by Julie Mitchell
Page 38 www www .thehorsereport.com - Ph 07 55909721 - mob 0413 733 294 - Email: cobakibob@bigpond.com.thehorsereport.com - Ph 07 55909721 - mob 0413 733 294 - Email: cobakibob@bigpond.com The Horse Report SE QLD REGIONAL AHSHA SHOW
HOOFPRINTZ PHOTHOOFPRINTZ PHOT OGRAPHY OGRAPHY Available for shows events and private photography shoots 0476 128 212
Photos by Hoofprintz photography Scott Heidke Indiana's Larakin Champion Australian Stock Horse. Sue Poultney and Greenfield Walking Glory Felicity Reinke Standardbred Point Queensland Racing Horse of the show Margaret Taylor Champion Hunter Prada Pines Picasso exhibited by Kayla Moore Champion Australian Saddle Pony Melissa Flood and her foot perfect palomino Justice is Coming was Supreme Hunter Hack
www www .thehorsereport.com - Ph 07 55909721 - mob 0413 733 294 - Email: cobakibob@bigpond.com.thehorsereport.com - Ph 07 55909721 - mob 0413 733 294 - Email: cobakibob@bigpond.com Page 39 The Horse Report SE QLD REGIONAL AHSHA SHOW
HOOFPRINTZ PHOTHOOFPRINTZ PHOT OGRAPHY OGRAPHY Available for shows events and private photography shoots 0476 128 212
Everyday's a Sunday Hi
OFF-THE-TRACK
ring 3 and winner of the Encouragement Award
Bonnie Brindley from Bangalow winner of the Junior Novice dressage Leadline pointscore winner Cody Want and runners up Dakota Phillips and Isla Renai Scarlett James from Alstonville in the Square Yard Race Bella Miljoin from Alstonville Ivy Pointen Wales from Alstonville winner of the Senior Novice dressage Charlee Anthony from Murwillumbah in the D grade showjumping Lucy Sydney from Alstonville winner of the Associate hack ne 15hh Lower Clarence club winner of the Presentation fours Layla Kirkby from Murwillumbah in the jump off Steela Cameron from Alstonville Safron Anderson from Casino in the Barrel race Amelia Barnes from Murwillumbah in the Jumpoff
Page 40 www www .thehorsereport.com - Ph 07 55909721 - mob 0413 733 294 - Email: cobakibob@bigpond.com.thehorsereport.com - Ph 07 55909721 - mob 0413 733 294 - Email: cobakibob@bigpond.com The Horse Report ZONE 15 PONY CLUB JAMBOREE
Lower Clarence club in the Presentation fours Josh Purnell from Cabarita winner of the overall Boy pointscore Grafton club winner of the fastest relay Jemima Southwell from Bangalow Grace Kirkby from Murwillumbah winner of the Best presented Charlee Campbel from Grafton Jemima Southwell from Bangalow winner of the overall Girl pointscore Violet Cantwell from Murwillumbah in the Square Yard race Paige Gollan from Murwillumbah in the Barrel race Kaitlyn McNall from Alstonville Associate Pointscore winner
www www .thehorsereport.com - Ph 07 55909721 - mob 0413 733 294 - Email: cobakibob@bigpond.com.thehorsereport.com - Ph 07 55909721 - mob 0413 733 294 - Email: cobakibob@bigpond.com Page 41 The Horse Report ZONE 15 PONY CLUB JAMBOREE

The Horse

0400 558

Koorana Summer

Love

Price: $ 25,000.

13.3 hh

Reg: Part Welsh, Partbred APSB, Saddle Pony, SHC Bay Mare

Sire: Koorana Royal Showcase

Dam: Koorana Royal Imprint

Summer as she is affectionately known is well beyond her years. She has the world at her feet and a huge future ahead of her, with super solid foundations and a correct and calm start she’s ready to take a little rider all the way to the top. Summer has no quirks or bad habits and makes for a very uncomplicated ride.

Soft snaffle mouth and sits in a consistent frame very kindly. 3 balanced paces and very consistent way of going. Established shoulder in and leg yield through all 3 paces. Established counter canter. More whoa than go. Newcomer 2022. Been to Canberra and Bathurst Royal, NPOTY, Pacific Coast, Numerous Ag Shows and always brings home a ribbon. She has been to Pony Club, Trail rides, Jumped and Sported, ridden bareback or while eating. Easy to take out and about alone or in company and a dream to prep.

Ridden by children of all ages in the open with no fuss. Easy to do everything with, beautiful ground manners, will be your best friend. In full show condition and work- ready to go Easy to catch, float, clip, trim, prep etc. Clean legs, blemish free and sound (vet check welcomed).

Contact: Sarah Pernice

Ph: 0477 771 672

Rosedale

Secret Service

Price: $ 18,000. neg

13.3 hh

Reg: EA| SHC | Riding Pony Bay Gelding YOB: 2014

Sire: Whitmere Secret Agent

Dam: Rothwell Make Me Famous

Fully qualified for all royals .

He has done everything from pony club to dressage, shows, interschools, jumping, and loves going for a swim in the dam.

He is well schooled and is completely handled by children.

Austin is a true childs pony that requires no work or ear plugs

He is easy to wash, clip, float, shoe.

Contact: Cherie Baines Ph: 0481 292 774

Ridgeview Park Royal Gossip

Price: $ 22,000. 13.2 hh Reg: EA| SHC | RPSB Bay Gelding YOB: 2015 Sire: Braefoot Park Royal Occasion Dam: Sanlirra Just Glitter

Qualified for Grand Nationals 2023, Open & Childs

Archie is a pleasure to do everything with, handled and ridden by my girls 11 & 13yo. He is a great ride, with some typical pony quirks, suitable Confident riders.

Recently competed at Adelaide Royal & EANationals Genuine sale, girls moving onto bigger horses.

Contact: Claire Schaefer Ph: +0409 671 446

Location: Roseworthy SA

Brigitte Bardot RA

Price: $ 6,500. 13.2 hh

Reg: ARP, ASSP, APSB Partbred, Part Welsh Bay Filly YOB: 2020 Sire: Rezeema Klass Act Dam: Morningside Cover Girl

On behalf of breeder Brigitte has had a stellar start to her show career, winning many supremes as a weanling at foal shows and most recently at Rochester Ag show

Brigitte is easy to do everything with, and will easily break in and make an exceptional saddle pony in the future

Brigitte would suit someone who enjoys showing in pony breeds with also an option as a future brood mare. First to meet Brigitte will buy.

Contact: Nikki Ph: +0410 805 435

www.showringclassifieds.com.au

Email: cobakibob@bi

Email:

Page 42 www www .thehorsereport.com - mob 0413 733 294 -
gpond.com.thehorsereport.com - mob 0413 733 294 -
cobakibob@bi gpond.com
Report
Contact: Suzie Bloxsidge-Kennedy Email - info@showringclassifieds.com.au Ph:
218 www.showringclassifieds.com.au

Horse Report

Price: $ 15,000 12.3 hh

Reg: SHC, EA, Riding Pony, Arabian Derivative, ASP, Part Welsh Bay Gelding

Sire: Falconhurst Boy Blue Dam: Weston Prunella

Registered Riding Pony, Part Welsh, Arabian Derivative, SHC , EA, Saddle Pony. Cass loves strutting his stuff in the show ring. He is handled by children catch, wash, rug, saddle, feed etc.

Cass loves being pampered and he really deserves his next little rider who will spoil and love him. Cass has competed successfully under saddle at Ag shows, Royal Shows, pony club, camp, and gymkhanas. Easily qualifies for royals

Always in the supreme line up led & ridden (with his 12yr old jockey)

Cass is a forward moving pony so he is more suited as a 2nd pony.

Cass is easy to get going and he has a nice soft mouth and he sits in a nice frame with 3 even paces.

Sad sale of a much loved pony, but sadly outgrown. We are in no rush to sell and we will wait for the perfect home.

Contact: Lynda Ph: 0408 411 191

Ascot Tru La La

Price: $ POA 12.2 hh

Reg: Riding Pony, Arabian API, Part Welsh, APSB Riding Pony

Grey Filly Sire: Mirinda Field Of Dreams (AI) (UK)

Dam: Ascot True Love

This pony is true quality in every way, she is by Field of Dreams being the sire of HOTY/GN winners such as Mirinda Alabaster, Mirinda Fortitude, DPLondon etc. and she will be no exception with a saddle on Her dam, Ascot True Love, (bay, also pictured) a Royal Supreme in hand and HOTYNewcomer winner under saddle and also dam of Ascot Jadore (Royal & HOTYwinner in (SA) "Layla" is professionally trained in hand, mouthed and recently taught to lunge through the paces. Big ground covering stride along with the glorious temperament

Shown lightly in hand this season for wins at state level:

- 1st Yearling to mature under 12.2hds 2022 Welsh National Show

- Supreme Champion Part Welsh Exhibit Euroa Ag Show - 2022 Junior APSB Riding Pony of the Year

- 2022 WP&CS Youngstock Show - Supreme Champion Part Welsh Exhibit

- ABSS Youngstock Spectacular - Supreme Champion Part Welsh Youngstock, Supreme Champion Riding Pony Exhibit She will make a superb addition to a competitive show team and will stand out in any crowd. Genuine enquiries please, a great home a must!

Contact: Melanie McGuire Ph: 0427 445 503

Fontain Park

Tri Dozen t

Price: $ 15,000. 13.0 hh

Reg: APSB | Part Welsh Brown Buckskin Gelding

Sire: Fairlight Acres Aristocrat Dam: Bronzer Park Rhapsody

Panda is an outstanding medium hunter pony with a huge future ahead of him, he just finished his first show season with huge success including EAHOTYmedium show hunter pony & child's medium Show hunter pony, taking him to nationals in his newcomer years and multiple championships.

Panda would be an asset to any professional show home wanting a pony that ticks all the boxes.

Panda is ridden by a 10yo at home, he loves to jump and pony club, trail rides etc. he takes everything I'm his stride. No work down required at shows. Easy to travel, eats all his food and never runs out of fuel!

Panda would suit a confident and capable child or small teen wanting to go to the very top. Since Panda is still green in his work but is completely safe he requires a capable rider to continue his education, home is very important and will be of most importance as we love him dearly and he is still learning. Comes with show bridle and rugs. Price dropped as I don't have time to keep him in work anymore.

Contact: Brittany Ph: 0427 454 743

Owendale

Hi Bob

Price: $ 16,000.

12.3 7/8 hh

Reg: EA| Riding Pony | ASP| Part Welsh Chestnut Gelding

Sire: Owendale Black Forest Dam: Willowcroft Cameo

Multi champion over multiple states in multiple disciplines. The hard decision has been made for Bob to find his next loving home. In full show condition. Always ridden by children possessing looks, movement presence and education. Agreat traveller clip shoe prep.

Bob is best suited to an experienced child because of his upfront movement and stride which makes him a super rider class mount.

Bob comes with everything you need to start your journey, flydes made to measure saddle bridle bits false tail, number holder, headstall with name plate. Some rugs.

If this is not what you need negotiation can be made just for Bob. Lots of video and photos upon request.

Contact: Deb McClelland Ph: 0407 783 298

Email:

www www .thehorsereport.com - Ph 07 55909721 - mob 0413 733 294 -
cobakibob@bigpond.com.thehorsereport.com - Ph 07 55909721 - mob 0413 733 294 - Email: cobakibob@bigpond.com Page 43 The
Contact: Suzie Bloxsidge-Kennedy Email - info@showringclassifieds.com.au Ph: 0400 558 218 www.showringclassifieds.com.au www.showringclassifieds.com.au Bordershow Castiel

The Horse

Bayview Sundance

Price: $ POA

14.1 hh

Reg: Riding Pony | Part Welsh Chestnut Gelding YOB: 2014

Sire: Royalwood Boy Soprano Dam: Bayview French Kiss

Prior to being broken in, Sundance was successfully shown in hand including champions at Royals and breed shows. He stepped out under saddle for numerous wins including Newcomer Galloway HOTYand qualifying for GN in his first season. Multiple Owner Rider Championships at SHC and ENSWShows and Top 10 Childs Galloway at HOTY.

Entered Sydney 2022 and EASouthern Cross. Video available. Vet check welcome Genuine enquiries

Contact: Cherie Ph: 0418 202 527

Beauparc

Magic Mike

Price: $ 18,000.

14.3 1/3 hh

Reg: SHC | EA| Part Welsh Chestnut Gelding YOB: 2015

Sire: Cherrington Damascus Dam: Grace’s Magic

National Quality Large Hunter Galloway Mike is an easy, fun and stunning horse. All the hard work has been done and is now ready to kick off his show ring career.

Qualified for open large hunter GN 23 and easily qualifies for all the royals. Would also suit PC, interschool’s, dressage and working hunter classes. Perfect first Galloway, adult or child’s rider class mount.

Easy to float, wash, clip. Footage available on request.

Contact: Ciel Letts Ph: 0407 711 339

Aria le belle

Price: $ 18,000. 14.2 hh

Reg: EA| SHC

Chestnut

Mare YOB: 2013 Sire: Royalwood Boy Soprano Dam: Falsify

Poppy is a super competitive child's Galloway that has been campaigned over the last couple of years by a young teenager and taken her rider to the top.

Qualifying for both rider class and child's classes at Grand Nationals and EASouthern Cross the last 2 years. Was Top 10 Grand National child's Galloway 2022 and already qualified for 2023 Grand Nationals child's Galloway. Poppy is a very non fuss mare. Beautiful natured and easy to do everything with. Only for sale as rider is concentrating on studies for next year and won't have time to ride.

$18,000 comes with work bridle and some rugs.

For extra can have all gear- saddle, numnah, show bridle, show rugs, false tail etc. Have everything ready to go to a show.

Contact: Melissa Harding Ph: 0402 660 884

Rivers Taj

Price: $ 10,000. 14.2 hh

Reg: Riding Pony | EA| SHC Bay

Gelding YOB: 2014 Sire: Millawarrah Magnitude Dam: El Jackie

In his newcomer year pulling champions at every show he’s been to, in both open and led classes, eligible part welsh Arabian derivative. Easy to do everything with, travels beautifully.

Can take out alone or in company, loves to go for a trail ride. Straight from float to ring no warm down needed. Great to lunge, soft snaffle mouth more whoa than go. Would suit a confident teen/ adult.

I’ve had kids in him on the lead and was great. No nasties does mildly wind suck but doesn’t affect his weigh or appetite, doesn’t do it in the paddock and doesn’t try with a collar on. Other than that he’s a great little dude and tries his heart out.

Contact: Leia Ph: 0400 761 589

www.showringclassifieds.com.au

Email: cobakibob@bi

Page 44 www.thehorsereport.com - mob 0413 733 294 -
gpond.com.thehorsereport.com - mob 0413 733 294 - Email: cobakibob@bi gpond.com
Report
Contact: Suzie Bloxsidge-Kennedy Email - info@showringclassifieds.com.au Ph: 0400 558 218 www.showringclassifieds.com.au

558

Now Or Never (Henrys

Price: $ POA

16.1 ½ hh Bay Gelding

Reg: EA| ASB | ANSA

Sire: Henrythenavigator

Dam: Admiral's Affair

Henry completed newcomer year in 2019 and is going into his second season of showing (due to missing 2020 because of COVID). Recently been started as a hunter and has a “look at me presence” with lovely length of rein. He is the ideal rider class mount and with further experience he is going to be the ultimate child’s mount. Atrue Gentleman. Can ride bareback and stand up on him. Has been over a few small jumps and believe he would also suit interschool’s or dressage. Henry has been back to the track as a lead pony, leading race horses around the track and taken out to the lake to swim bareback. Ridden out along roads alone and in company, he is just happy to do whatever is asked of him.Easy to handle and loves attention, he is up to date with farrier, dentist and worming. Great to float, shoe, clip etc.

Recent Results:

· Finalist Led OTT, and Runner Up Ridden OTT-Vic Saddlehorse champs 2022

· Supreme Ridden Hunter and supreme rider -Mildura Horse complex 2021

- Barastoc 5th Led Hunter OTT2021

· Top 10 Large Show Hunter Hack SHCVHOTY2021

· 3rd in both led and ridden Hunter OTTB SHCVHOTY

Genuine enquires only please. Video available upon request. Currently with David Warde. Ph 0439 918 341 or Ph: 0439 918 341

Westlake Top Secret

Price: $ 30,000. 14.2 hh

Reg: SHC, EA, RP, APSB Bay Mare YOB: 2011

Sire: Claremont Park Galaxie Dam: Baxters Top Model

14.2hh SHC life measure Tyra is a top quality Hunter Galloway mare that exudes presence & style, this mare is a true Hunter type who demands attention when she enters the show ring, her outstanding movement & type is second to none.

Tyra easily qualifies for nationals & royals, a beautifully educated & ready to take her next rider to the top, best suited for a confident teen or lady rider.

Performances; 2021 - SHC Grand Nationals 4th Large Open Hunter Galloway 2021 - SHC Northern NSWHack championship Champion Open Hunter Galloway 2022 - EASummer show champion child’s Hunter Galloway 2022 - Sydney Royal - top 5 small Hunter Galloway

Qualified for Sydney Royal 2023

Contact: Jess Seilers Ph: 0439 494 484 Location: Toowoomba QLD - 4350

Byalee

Blenheim Park Regardette

flashy, expressive movement andvery athletic. Quiet and easy to handle.

Link - https://youtu.be/HFhjqtNP16U

Sophia Palmer Ph: 0437 073 792

SHC, ANSA Chestnut Mare YOB:

Sire: Langtree Composer Dam: Accolade

Poppy is a competitive, quiet and stress free galloway. She is well educated with lovely movement. She is a dream to ride and handle both at home and competitions. Since owning her, Poppy has consistently performed at Ag Shows and Hack Championships.

Poppy has been shown and handled by a competent 10yr old, making her an excellent Childs show or dressage mount.

Qualified for Sydney Royal 2023. Footage available upon request. Genuine enquiries only.

Contact: Sophie Wood Ph: 0458 751 636

Location: Tamworth NSW

www.showringclassifieds.com.au

www www .thehorsereport.com - Ph 07 55909721 - mob 0413 733 294 - Email: cobakibob@bigpond.com.thehorsereport.com - Ph 07 55909721 - mob 0413 733 294 - Email: cobakibob@bigpond.com Page 45 The Horse Report Lamor Park Bedazzled Price: $ 16,000. 17.0 hh Reg: Warmblood Chestnut Colt YOB: 2021 Sire:
Briar Dam:
Super
Video Footage
Contact:
Langtree Acclaim Price: $ POA 14.2 ½ hh Reg: RP,
2012
Contact: Suzie Bloxsidge-Kennedy Email - info@showringclassifieds.com.au Ph: 0400
218 www.showringclassifieds.com.au
Affair)

The Horse Report

Gold Coast Women in Business awards Congratulations to SUE SPENCE

We would like to congratulate Sue Spence for her two 2021 Gold Coast Women in Business Awards. This Award is just another that has been presented to Sue and Horses Helping Humans over the years.

This shows the consistency and ongoing recognition of Sue's dedication and hard work. Sue was a FINALIST (chosen in the top 3) and received this prestigious award for Business Adaption and Ingenuity.

The Horses Helping Humans Team are very proud of Sue for this Award.

Sue has a big vision for Humans Helping Humans and is adapting her business ready for future growth in Australia and overseas.

Sue also received a "Merit Achievement in the 2021 Gold Coast Women in Business Awards".

To be chosen in the top three is an incredible achievement and Sue stood along side two other women who are leaders in their fields, globally.

We would like to see Horses Helping Humans in many more Communities. We are dedicated to training and helping Certified Facilitators share this incredible program.

If you would like to become part of the Horses Helping Humans Team and make a difference in your Community, please contact us or call 0408 251 968 or visit

www.horseshelpinghumansaustralia.com

‘Horse whispering’meets ‘people whispering’within Sue's innovative equine-assisted life coaching program that integrates extensive knowledge-bases in interpersonal communication skills, body language, emotional intelligence and personality types

733

733

- Email: cobakibob@bigpond.com

- Email: cobakibob@bigpond.com

Page 46 www www .thehorsereport.com mob 0413
294
.thehorsereport.com mob 0413
294
WEB SITE DIRECTORY ($44 for 6 months or $77 for 12 months) or receive a free listing with display adverts booked for 12 months  Animal Itch & Skin Remedies - www.animalitch.com.au  Country Scene Saddlery - www.countryscenesaddlery.net  County Saddlery Qld - www.countysaddlery.com  Country Park Animal Herbs...www.countrypark.com.au  DeMeulenkamp (QLD) Itch Rugs..www.premiumequine.com.au  EFAQueensland... www.qld.equestrian.org.au  Embroidered saddlecloths - www.clubcoloursdirect.com.au  Eq Land Developments .....www.equestrianlanddevelopments.com  Equine on the web ... www.equineontheweb.com  Equilibrium Mineral Mix... www.equiaustralia.com.au  Equestrian On line ... www.equestrianonline.com.au  Feed XL... www.FeedXL.com  Fordsdale Farm Stay ……. www.fordsdalefarmstay.com  Gallagher Electric fencing ... www.gallagher.com.au  Gold Coast Horse.... www.goldcoasthorse.com.au  GG’s Horse Transport ..... www.ggshorsetransport.com.au  Greystone Manure Vacuums ... www.greystonevacuums.com  GEOHEX Ground Stabilisation ..... www.geohex.com.au  Have Horse … Will Travel www.havehorsewilltravel.com.au  Healing for Horses ...www.healingforhorses.com.au  Horse Transport … www.manuelequinetransport.com.au  Horse Transport … www.goldcoasthorsetransport.com.au  Horse Floats … www.mcneilltrailers.com  Horseland..... www.horseland.com.au  Kentucky Equine Research...www.ker.com  Kulavale Equestrian... www.jennykunde.com  Lisa McCann Herbs ....... www.lisamccannherbs.com.au  Mitavite ... www.mitavite.com.au  Mobile Livestock Inspector...www.tickmanagement.com.au  Nathan Trailers at Nerang... www.nathantrailers.com  National Equestrian Wholesalers .... www.natequest.com.au  Natural Hoof care ..... www.hoofworksaustralia.com  Natural equipment ...www.naturalequipment.com.au  Neds Bed Horse & Dog O’Tel..... www.nedsbed.com.au  New England Girls School . www.negs.nsw.edu.au  Norco..... www.norcorural.com.au  Omega Feeds .....www.omegafeeds.com.au  Pharmachem ... www.pharmachem.com.au  Redlands Vet Clinic ... www.redlandsvetclinic.com.au  Replay Classifieds... www.replayclassifieds.com.au  Riding for the Disabled............ www.sunshinecoastrda.com  Saddleworld......  Stance Equine Feeds.......... www.stanceglobal.com  StockGuard Electric Fencing.....www.stockguard.com.au  Southwood Saddlery... www.southwoodsaddlery.com.au  The Horse Report ... www.thehorsereport.com Horse Report Line Listings Ph. 0755909721($44 for 6 months or $77 for 12 months) TRADES & SERVICES LINE LISTINGS  Horse Transport www.manuelequinetransport.com.au Ph 0408 537 904  The Horse Report .. . . . . . . . . . . . . . . . . . . . . . . . . . . . . Ph 07 5590 9721  Neds Bed Horse & Dog O’Tel . . . .Clybucca . . . . . Ph 02 65650085  The Saddlefitter - Kathryn Sullivan - Butt . . . . . . . . . . . . . Ph 0413 371 802  Country Park . . . . . . . . . . . . . . . . . . . . . . . . . . . . . . . . . Ph 07 5596 4387  Aitkins Saddlery . . . . . . . . . . . . . . . . . . . . . . . . . . . . . . . Ph 07 3209 7506
Email: licensing.hhh@gmail.com Ph 0408 251 968 www.horseshelpinghumansaustralia.com
www www .thehorsereport.com - mob 0413 733 294 - Email: cobakibob@bi.thehorsereport.com - mob 0413 733 294 - Email: cobakibob@bi GIFTS GIFTS PRODUCE/HAY/STOCKFEED HORSE CLIPPING HERBS PRODUCE/STOCKFEED CHIROPRACTIC ADVERTISING T R A D E S & S E R V I C E TS R A D E S & S E R V I C E S Ph 07 5520 6662 Fax 07 5522 6092 Mob 0400 712 759 Justin Wain Unit 1/9 Kortum Dr West Burleigh 4219 Email: burleighpetandstockfeed@gmail.com Horse Clipping Heather Crack Ph 5546 3276 - 0408 193 131 RHONDA’S REFITS 100 TaylorStreet, Toowoomba. 4350 GREAT GIFTS Buckles, Belts, Montana Jewellery & Flags www.rhondasrefits.com Aussie books from www.outbackbooks.info Brigalow - Akubra Outback - Pocket Knives - Ariat Ph/Fax 07 4637 8933 Email: closeandmoller@gmail.com TM * AIR B* AIR B * ANGLE L* ANGLE L * QU* QU Servicing the Gold Coast, Mid North Coast, Northern Rivers and regularly to Brisbane, Sydney and Melbourne LISAMcCANN HERBS www.lisamcannherbs.com.au - Ph: 07 5447 7644 C U R R U M B I N C R E E K S T O C K F E E D SC U R R U M B I N C R E E K S T O C K F E E D S Ph 07 5559 5984 NEW LOCATION 68 Currumbin Creek Rd Currumbin Free Delivery Gold Coast - Pottsville Conditions Apply A D V E R T I S E I N T H I AS D V E R T I S E I N T H I S S P A C E N O SW P A C E N O W $20 per month (when booked for 12 months) one off advert $60 per issue Ph Paula 0413 733 294 or email cobakibob@bigpond.com M.B.EQUINE CHIROPRACTIC S e r v i c i n g C o f f s H a r b o u r t o t h e G o l d C o a s t Matt ButlerMatt Butler 0410 619 0370410 619 037 EQUINE & GENERAL PRACTICE James A Rodger B.V.M.S.,M.R.C.V.S,F.A.N.Z.C.V.S CONSULTANT & REGISTERED SPECIALIST IN EQUINE REPRODUCTION 10 Pagan Street JERRYS PLAINS NSW 2330 Ph: 02 6576 4162 - admin@jpvh.com.au L A N G P A R K C O T T A G E S Anew rural tourist facility with 1 Bedroom cottages on our private 25 acre horse property 10 mins from Byron Bay, Mullumbimby & Bangalow 02 6684 7241 Email: langparkcottages@gmail.com www.langparkcottages.com.au HOLIDAY ACCOMODATION TOURIST FACILITY
Page 48 www www .thehorsereport.com - mob 0413 733 294 - Email: cobakibob@bigpond.com.thehorsereport.com mob 0413 733 294 - Email: cobakibob@bigpond.com B U S I N E S S C A R D L I S T I N G BS U S I N E S S C A R D L I S T I N G S * AIR BB A A G SUSPENSIONG SUSPENSION * ANGLE LL O O AD AD * QU* QU ALITY OALITY O VERNIGHT STVERNIGHT ST ABLING ABLING Servicing the Gold Coast, Mid North Coast, Northern Rivers and regularly to Brisbane, Sydney and Melbourne * CREDIT CARD AND EFTPOS F* CREDIT CARD AND EFTPOS F AA CILITY CILITY * F* AMIL Y OWNED BY OWNED B USINESS USINESS * SAFE AND RELIABLE SER* SAFE AND RELIABLE SER VICE VICE B U S I N E S S C A R D L I S T I N BG U S I N E S S C A R D L I S T I N G $34 per month (when booked for 12 months) one off advert $100 per issue Ph Paula 07 5590 9721 - 0413 733 294 *** Now reaching over 50,000 readers *** C O U N T Y SADDLERY AUSTRALIA Mel Waller MSA Qualified Saddle Fitter 0 0417 711 445 mel.waller@countysaddlery.com Find us on Facebook @ COUNTY SADDLERY AUSTRALIA www.countysaddlery.com.au M.B.EQUINE CHIROPRACTIC S e r v i c i n g C o f f s H a r b o u r t o t h e G o l d C o a s t Matt ButlerMatt Butler 0410 619 0370410 619 037 N e w r y b a r P r o d u c e & S a d d l e r yN e w r y b a r P r o d u c e & S a d d l e r y 9 Old Pacific Highway Newrybar NSW 2479 Ph 02 6687 1342 Email: info@newrybarproduce.com.au Now Under New Managment with Aaron Lang Offering countrycharm,friendlystaff andgreatcustomerservice * Hay and Chaff * Feed and Supplements * Saddlery and Grooming supplies * Fencing and Farm supplies order online 24/7 or phone our friendly staff www.countrypark.com.au 07 55964387 Ruth 02 62381135 Carol Enter Coupon Code: HORSEREPfor 10% discount For all your natural horse products & remedies www.greenpet.com.au Tel:07 5449 1453 - Email: info@greenpet.com.au www.equinepassion.com.au Your online store for ALL things equine & canine Vitamins & Minerals Insecticides & Lotions Shampoo & Grooming Worming + First Aid AND loads more LISA McCANN HERBS www.lisamccannherbs.com.au - Ph: 07 5447 7644 1kg Joint Blend $88 NOW $80 1kg Joint Blend Plus $103 NOW $95 1kg Mobility Plus $119 NOW $110 OCTOBER Specials 14 Kays Lane, Alstonville NSW 2477 - Ph 02 6788 1234 Email: admin@plateaulandscapesupplies.com.au www.plateaulandscapesupplies.com.au Mulch - Roadbase - Gravel - Sand - Crackerdust - Sleepers - Sawdust - GeoHex
www www .thehorsereport.com - Ph 07 55909721 - mob 0413 733 294 -.thehorsereport.com - Ph 07 55909721 - mob 0413 733 294B U S I N E S S C A R D L I S T I N G BS U S I N E S S C A R D L I S T I N G S Ph 07 5520 6662 Fax 07 5522 6092 Mob 0400 712 759 Justin Wain Unit 1/9 Kortum Dr West Burleigh 4219 Email: burleighpetandstockfeed@gmail.com C U R R U M B I N C R E E K S T O C K F E E D SC U R R U M B I N C R E E K S T O C K F E E D S Ph 07 5559 5984 68 Currumbin Creek Rd Currumbin Free Delivery Gold Coast - Pottsville Conditions Apply NORTH COAST Saddlery & Pet Supplies BALLINA Shop 37 De-HHavilland Cres Ballina NSW Email: northcoaststockfeed@bigpond.com www.northcoaststockfeed.com.au 02 6686 2361 QUALITY STOCKFEEDS HAY & CHAFF SADDLERY PET SUPPLIES VETERINARY SUPPLIES EQUINE & GENERAL PRACTICE James A Rodger B.V.M.S.,M.R.C.V.S,F.A.N.Z.C.V.S CONSULTANT & REGISTERED SPECIALIST IN EQUINE REPRODUCTION 10 Pagan Street JERRYS PLAINS NSW 2330 Ph: 02 6576 4162 - admin@jpvh.com.au Ph: Ph: 02 6672 3898 E: E: admin@theriversequinevets.com.au P: P: PO BOX 355 MURWILLUMBAH 2484 W W :: www.theriversequinevets.com.au DR GREG BALDWIN BSc BVSc MPhil Equine Cremations Pickup from Vet or Paddock Dignified - Caring Robyn Winton Mobile: 0428- 941-524 Servicing Northern NSW woodlandpetcemetery@gmail.com www.woodlandpetcemetery.com Keep cattle ticks out of NSW Horses and other grazing livestock entering NSW from the cattle tick infested zone of Qld MUST comply with the Mandatory Measures of the Biosecurity Order (Permitted Activities) 2017 regarding examination and treatment of livestock prior to entry into NSW. Enquiries: NSW DPI Biosecurity - www.dpi.nsw.gov.au/biosecurity/managing-biosecurity/forms * Select Factsheets link at the bottom of page for Information on NSW cattle tick entry requirements * Select blue button [Record of Movement form] to complete the required ROM Ph. 07 5536 4714 - For on-duty Compliance Officer contact details, or to leave a message www.daf.qld.gov.au - For accredited certifiers QLD DAF call centre 07 3404 6999 Ca Ca ttle ticttle tic ks arks ar e notife notif ia ia b b le in NSWle in NSW www www.supaliciouspr .supaliciouspr oducts oducts .com.au .com.au Byron Bay & Gold Coast Equine Veterinary Practice Dr Khiani Mortimer – 0413 905 259 Dr Kevin Squire – 0478 838 511 OFFICE: 0413 414 534 EMAIL: byronbayhorsevet@gmail.com Servicing the entire Gold Coast Equine Veterinary Practice –All Horse Health Care SERVICING BYRON BAY AND THE GOLD COAST + EVERY WHERE IN BET WEEN INCLUDING: Tweed Mur willumbah Mullumbimby Bangalow & Ballina • Chiropractic • Dentistry • Hoof Care • Shoeing Advice • Reproduction • Digital X-ray • Colic • Skin Conditions • Hoof Balancing • Hoof Reconstruction • Ultrasound (high quality) for Tissue Scans SERVICING BYRON BAY AND THE GOLD COAST + EVERY WHERE IN BET WEEN INCLUDING: Tweed, Mur willumbah, Mullumbimby, Bangalow & Ballina SERVICING BYRON BAY AND THE GOLD COAST + EVERY WHERE IN BET WEEN INCLUDING: Tweed, Mur willumbah, Mullumbimby, Bangalow & Ballina
Page 50 www www .thehorsereport.com - Ph 07 55909721 - mob 0413 733 294 - Email: cobakibob@bigpond.com.thehorsereport.com - Ph 07 55909721 - mob 0413 733 294 - Email: cobakibob@bigpond.com B U S I N E S S C A R D L I S T I N G BS U S I N E S S C A R D L I S T I N G S B U S I N E S S C A R D L I S T I N BG U S I N E S S C A R D L I S T I N G $30 for 2 months in the digitial online magazine Ph Paula - 0413 733 294 *** Now reaching over 50,000 readers *** Equine & Canine Patent Formulas www.technyflex.com.au 1800 136 393 www.horsemanshipforperformance.com www.stockhealth.com.au TM T DAVID BRUSH-ON HOOF HEALER Disinfects, Conditions, Prevents Thrush and Promotes Healthy Hoof Growth HOOF-AID™ aids in the prevention of common conditions of dryness which results in brittle, shelly hoofs, hard frogs, quarter cracks, contracted and split heels. HOOF-AID™ arrests fungicidal and bacterial infection, prevents thrush and speeds normal hoof development by stimulation through the coronet band. HOOF-AID™ gets results without using harmful mineral oils, acids or pine tar. It retains the natural oils in the hoof, and supplements them. HOOF-AID™ doesn’t seal pores. Instead, it lets the hoof breathe, disinfects it, conditions it, and stimulates rapid healthy growth. Unit 6, 70 Fison Ave West, Eagle Farm QLD 4009 www.pharmachem.com.au ACTIVE CONSTITUENTS: OIL OF TURPENTINE, PINE OIL, LANOLIN, IODINE AVAILABLE IN HANDY 500mL CANS FROM ALL GOOD PRODUCE STORES AND SADDLERIES. Flax Seed Oil provides the richest (almost 60%) natural source ofOmega 3, an essential fatty acid (EFA) which is not generally present in equine foods. Like all animals, horses cannot manufacture this essential fatty acid which is so important for their overall health. order online www.flaxseedaustralia.com.au or call 1800 255 288 www.vetgold.com.au

Equine Health

The Horse Report

What makes Rose-Hip Vital Equine stand out in a cluttered market?

There are in fact many reasons. It all starts with the humble Rosehip, the berry-like fruit of the wild rose bush species Rosa Canina. A wholefood known to be one of nature’s richest sources of natural vitamin C. A superfood containing 8 naturally occurring vitamins (including C, E, B1 and B6) and 23 minerals (including iron, copper, zinc and magnesium), essential fatty acids (omegas 3, 6 and 9),

You may already know rosehips are often fed to horses for immune system support and a improved circulation and improved digestive function. So you’re probably wondering what makes Rose-Hip Vital® so special? Rose-Hip Vital® is made from Rosehips manufactured with patented extraction and drying processes which isolate and activate a galactolipid (fatty acid) called GOPO®. GOPO® has clinically proven antiThe patented processes also concentrate and preserve the naturally occurring vitamins and minerals, transforming Rose-Hip Vital® into a product that is both in a category all on its own, and across many; It’s a joint

antioxidant and a nutritional supplement. It delivers noticeable improvements to mobility, mood, condition, willingness to move forward, performance and recovery while reducing

improving general health and wellbeing, and boosting immunity.

Rose-Hip Vital® is a clinically proven plantand rich source of natural vitamin C. There is no product like it. Unlike other joint supplements, Rose-Hip Vital® is 100% plant-

Rose-Hip Vital® is safe for long term use and it does not swab. It can be used alongside conventional treatments and supplements as well as potentially replacing or reducing the medication.

Horses like it so much, even the fussiest of eaters become more enthusiastic about their feed once Rose-Hip Vital is added. So while Rose-Hip Vital Equine has become a highly use, it also has become highly recommended for improving general health and wellbeing, improving performance and maintaining healthy joints.

How does Rose-Hip Vital® Equine lengthen the lifetime of a working horse?

Vital is comprehensive. There are in excess of placebo controlled clinical trials on people, dogs and horses mainly focusing on antithe unique compound GOPO.

To many people, antioxidants and anti-aging go hand-in-hand. Antioxidants are talked about as the antidote to cell-damaging free radicals. Exercise and the associated stress and increase in oxygen consumption are linked to an increased production of free radicals. When the production of free radicals overwhelms the body’s antioxidant defences, oxidative stress can occur with subsequent

research shows horses need natural vitamin C to help block toxic free radical activity, which causes damage throughout the body including joints and cartilage.

Some white blood cells in the body contain granulocytes which enable them to ‘clean’

bacteria in it. Too many of these white blood cells wear down tissue cartilage. In large numbers they can also produce chemical enzymes and toxic freeradicals which cause even more tissue damage. Excess accumulation of white blood cells combined with the release of chemical substances cause’s joint pain

The more becomes, the more the white blood cells are attracted to it –a painful cycle.

protects cartilage. This means it helps to delay the onset of arthritic changes or slow down further cartilage degeneration if it already exists.

In short, if you want to extend the lifetime of your working horse, feed it a natural anti-

rich source of natural vitamin C. Rose-Hip Vital® Equine is your only option, and the results speak for themselves.

Email:

Email:

www www .thehorsereport.com - Ph 07 55909721 - mob 0413 733 294 -
cobakibob@bigpond.com.thehorsereport.com - Ph 07 55909721 - mob 0413 733 294 -
cobakibob@bigpond.com Page 51
$199.95 NOW $99.95FREESHIPPING
https://rosehipvitalequine.com.au/horsereport-promotion/ https://rosehipvitalequine.com.au/horsereport-promotion/ https://rosehipvitalequine.com.au/horsereport-promotion/ https://rosehipvitalequine.com.au/horsereport-promotion/ https://rosehipvitalequine.com.au/horsereport-promotion/ SHOP NOW
Feature

QUEENSLAND ITCH, SWEET ITCH, SUMMER ECZEMA and EQUINE ALLERGIC DERMATITIS are names for distressing skin conditions which affects horses in spring and summer months throughout Australia and around the world.

The usual cause is a hypersensitivity to the bites of flies (in particular sand flies or midges).

While the bite of the flies are an irritation, some horses develop sensitivity to the bite and will rub themselves so much that they cause injury to their skin.

Research shows the cause is an allergic reaction to the chemicals in the saliva of the midges (as with humans).

Not only that, but once or twice a day, stable lies come to the horse, feed vigorously for a minute or two, and then return to the shade to digest their food. These bites can cause intense irritation in some horses. The bites appear as small raised lumps with a central scab.

The effects on the horses can be dramatic. They suffer intense pruritus (itchiness) on the mane, tail, face, ears and back, resulting in biting, rubbing, hair loss, self-trauma and a change of temperament. They become miserable and irritable.

KURITCH has been specially formulated to help assist this problem effectively, in a number of ways:

Firstly, it repels the biting insects using the combination of the natural repellent “Citronella Oil” and a highly effective repellent “DEET”. Secondly, it soothes the irritated areas thus relieving the horse from biting and rubbing, which in turn allows the normal healing process to begin.

It achieves this by the inclusion of the natural antiseptic “Eucalyptus oil” and Camphor oil” which naturally relieves itchy skin.

These significant benefits are also enhanced by the “Rain Resistant” and “Low irritant” formula. As it doesn’t contain alcohol (prevalent in most fly sprays) it won’t “sting” the horse. It can also be applied to surface wounds, minor cuts and skin abrasions to help prevent irritation and possible infection by nuisance insects.

Registered by the APVMA in Australia for over 40 years, extensive field experience has proven KURITCH to be a most effective solution for both preventing and healing distressing skin conditions caused by biting insects.

As well as KURITCH as a repellent, environmental management will also assist in protecting your horse.

Midges breed near stagnant water. As they don’t fly more than a few hundred metres from their breeding area, housing or paddocking your horses more than 500 metres from those areas will reduce their exposure to the flies.

Also rugging, hooding or stabling your horses between the hours of 4pm – 7am during spring and summer will limit the contact of the flies.

Should your horse already be suffering from the effects of allergic skin dermatitis, ensure you use QUIT ITCH to treat and relieve the effects of insect bites.

Since the 1970’s, QUIT ITCH has been an essential weapon in the fight against skin disorders in horses.

KURITCH – REPELS NUISANCE INSECTS
nd es so nd n’t an s, lp c in n en ve nd ns nt, so er. w ng ur m re “BYE BYE FLYBYE FLY”

Turn static files into dynamic content formats.

Create a flipbook
Issuu converts static files into: digital portfolios, online yearbooks, online catalogs, digital photo albums and more. Sign up and create your flipbook.