HOSPITALS Magazine issue 69

Page 1

Issue 69 / 198 - MAr/Apr 2023

HOSPITAL FOOD SERVICE

New approaches to ensure patient comfort

The Human Development Index, a measure of countries’ life expectancies, education and health levels as well as standards of living, has declined for two consecutive years straight in 2020 and 2021, and returned to what it was in 2016. This is the first time since its creation thirty years ago, according to the UN Development Programme (UNDP), which explained in a report that this “massive decline” includes more than ninety percent of the countries of the world.

The report warned that back-to-back global crises have set back human development by five years. The international organization expressed its fear that wars and continuous tensions, including the war in Ukraine, would exacerbate the situation further.

However, medical reports from various organizations around the world confirmed the ability of the “large” health sectors to face crises on the one hand, and to quickly recover from the crises’ repercussions on the other hand. The health sectors increased their healthcare spending and set plans with the aim of not only maintaining their level of development, but also achieving quantum leap while expecting to get over the effects of the crisis in record time.

By the end of this year, we will have witnessed the opening of more stateof-the-art hospitals in the Arab world and worldwide. The health sector would have more hospotels, environmentally friendly hospitals and smart hospitals, and would have renewed its equipment and business strategies in order to provide better health to people and make the world a better place.

Publisher Arab Health Media Communication

President Simon Chammas schammas@tahmag.com

Executive Vice President Mirna Khairallah mirna@tahmag.com

Senior Editor Elham Najem editorial@tahmag.com

Content Executive Jessica Achkar editorial@tahmag.com

Editors

Aline Debes, Mark Steven, Don Karn, Andrew Weichert, Colette Semaan, Abbas Moussa

Content Marketing Manager Jessie Chlela jessie@tahmag.com

Creative Director Rania Khalil rania@tahmag.com

Business Development Manager Wadih Chammas wadih@tahmag.com

IT Manager Elie Yammine elie@tahmag.com

Photographer Hanna Nehme Advertising advertising@thearabhospital.com

OFFICES

IHMC, Cyprus +357 96 158661

Dubai +971 50 2971007

Printing

Distribution

KSA - UAE - OMAN - TURKEY LEBANON - JORDAN - KUWAIT BAHRAIN - QATAR - EGYPT

All images from shutterstock© unless provided by clients .

All rights reserved by the HOSPITALS magazine.

3
in any form without prior permission in writting from
No part of this publication can be reproduced
the publisher.

40 Green Hospitals Sustainability... At The Heart of Healthcare

50 Baylor St. Luke’s Medical Center Professor Neil Strickman

52 CMC, Dubai Dr. Yasir Parviz

56 Acibadem International Women's Hearts at Risk More Than Men's!

CONTENTS

JCI Tracers with AMP® Solution

Gain operational efficiencies with this powerful and proven patient safety platform for continuous compliance, data collection, digital tracing, and rounding.

Only JCI Tracers with AMP boasts these unique benefits:

Secure access to the JCIA standards and the ability to score your organization’s performance utilizing the SAFER Matrix

A library with hundreds of customizable tracer templates developed by clinical experts

Comprehensive set of rounding and JCI accreditation tools

Seamless data integration and analytics capability with configurable reports for data-driven decisions and improvements prioritization

For more information, please visit: www.jointcommissioninternational.org or scan the QR code.

60 UChicago Medicine

Transabdominal cerclage team helps prevent pregnancy losses for hundreds of families each year

72 Weill Cornell Medicine-Qatar

Dr. Stella Major

76 Marble Medical Center A Brief Review on Breast Aesthetic Surgery

INTERVIEWS

50 Professor Neil Strickman, Cardiologist and Vascular Specialist At Baylor St. Luke’s Medical Center

52 Dr. Yasir Parviz, Consultant Interventional Cardiologist at Clemenceau Medical Center, Dubai / UK Board Certified

72 Dr. Stella Major, Associate Professor of Family Medicine in Clinical Medicine and Director of the Clinical Skills and Simulation Lab at Weill Cornell Medicine-Qatar (WCM-Q) Director, Oracle Cerner, Middle East and Africa

MEDICAL INSTITUTIONS

56 Acibadem International: Women's Hearts at Risk More Than Men's!

60 UChicago Medicine transabdominal cerclage team helps prevent pregnancy losses for hundreds of families each year

74 Acibadem International: Aesthetic Applications Are Safer in Experienced Hands

82 Becton Dickinson Target Controlled Anaesthesia: Where It’s Going and Why.

ARTICLES

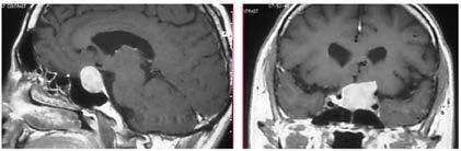
64 Pituitary Gland Tumors (Pituitary Adenomas)

Al Ahli Hospital / Qatar

70 Fakeeh University Hospital: Hospitality Solutions

Transforming Patient Care

76 Marble Medical Center: A Brief Review on Breast Aesthetic Surgery

82 Becton Dickinson. Target Controlled Anaesthesia: Where It’s Going and Why.

90 EHS and Oracle Cerner supporting children with autism

FEATURES

44 Heart Disease in Women

66 #HOSPOTEL

78 Laboratory Diagnostic Market

88 Accreditation Certificates for Hospitals

92 Can pregnancy occur if diagnosed with lupus?

DHCC.AE 800HEALTH @dubaihealthcarecity YOUR HEALTH & WELLNESS DESTINATION ﻞﻀﻓأ ﺔﺤﺼﻟ ﻢﻜﺘﻬﺟو ﻞﺜﻣأ ةﺎﻴﺣو Healthcare Professionals Hospitals Recreational Facilities Clinical Facilities 4425 10 36 168

MoHAP hosts WHO’s regional expert meeting on healthy diet policies

H.E. Dr. Hussein Al Rand stressed that the UAE is committed to enhancing cooperation with the WHO Regional Office as part of its efforts to become one of the leading countries in the field of healthy food systems.

The Ministry of Health and Prevention hosted a regional expert meeting on healthy diet policies, hosted by the World Health Organization (WHO) Regional Office for the Eastern Mediterranean in Dubai.

The event was attended by HE Dr. Hussain Abdul Rahman Al Rand, Assistant Undersecretary for the Public Health Sector, MoHAP, along with several senior officials and experts in the UAE’s health and other related sectors.

Also present were experts and representatives from the GCC states, with many other countries in the Eastern Mediterranean region participating remotely. Dr. Ayoub Al Jawaldeh, Regional Adviser in Nutrition, and several international experts were also in attendance. In addition to exploring ways to advance food system actions that support healthy diets, evaluating the latest guidelines and trends, and facilitating discussions on opportunities for collaboration, the meeting aimed to gain insights from international experiences in implementing the four key areas of work: food reformulation and processing, public food procurement, fiscal policies, and food labeling. Along with assessing member states' support needs and opportunities for cooperation, the event also examined the experiences of countries in implementing policies in these four areas and informed member states of the latest guidelines issued by the WHO and its related initiatives.

THE MEETING AIMED TO DISCUSS THE RECENT DEVELOPMENTS IN THE FIELD OF HEALTHY DIET POLICIES AT THE REGIONAL LEVEL, WITH SPECIAL EMPHASIS ON THE UAE AND GCC COUNTRIES, IN LIGHT OF THE STRATEGY ON NUTRITION FOR THE EASTERN MEDITERRANEAN REGION 2020–2030.

He noted that the UAE is working on various national programs and legislation aimed at promoting healthy food for individuals, reducing the prevalence of chronic diseases and malnutrition, and raising their quality of life. The implementation of these programs will contribute to reducing the costs of spending on disease treatment, ensuring the health of generations of children and adolescents, achieving food security for the country, raising the quality of life, and ensuring its long-term sustainability.

Comprehensive Roadmap

HE Al Rand highlighted that the WHO regional meeting lays out a comprehensive roadmap to develop healthy and sustainable food systems that can lead to improved health indicators, prioritize prevention and reduce the incidence of lifestyle-related diseases such as obesity, diabetes, and heart disease. The UAE is committed to implementing international best practices to strengthen its healthy food systems and protect society from chronic diseases. To achieve a healthier and more sustainable future, the UAE will expand the scope of nutrition initiatives and follow international and regional policies and strategies to promote health and education in the field of nutrition, Al Rand added.

For her part, Nouf Khamis Al Ali, the Director of the Health Promotion Department, said that the Ministry, in collaboration with its strategic partners, has launched various initiatives and health education programs aimed at promoting nutrition awareness and healthy diets among the public. These initiatives are aligned with national strategies that support the objectives of the healthy nutrition agenda, with a focus on preventing diseases such as obesity, diabetes, and heart disease.

NEWS MAR.APR 2023 10

Lexicomp® drug reference and interactive tools

Lexicomp® connects you to relevant drug information that supports you with drug dispensing, interactions, patient safety screening, medication therapy management, and more. Lexicomp helps pharmacists and other healthcare professionals ensure that patients receive the appropriate medication while making it easy to monitor and adjust treatment plans as needed.

With a subscription to Lexicomp, you will benefit from access to:

Continuously updated information on drugs, dosing, new medication uses, and more.

Several interactive medication safety tools, such as our drug interactions and drug ID tools.

Answers to medication-related questions that arise when dispensing drugs, monitoring patients’ drug therapies, advising interventions, and informing of any potential side effects.

To learn more, SCAN the QR CODE or visit

GO.WOLTERSKLUWER.COM/AHM

Liv Hospital Management

Opening Speech

Aren Academy Organizer

Prof. PhD. Erdal Karaöz, MD. Clinical Applications Of Cellular and Non-cellular(exosome) Biological Products Used in Dermo-cosmetic Field

RD. Zeynep Kobalcı Holtoft The Journey of Beautiful Smile

Prof. Halil İbrahim Canter, MD. Advanced Surgery in Reconstructive Cases

Majid İsmailzade, MD. Surgical Approach to Facial Aging

Sponsor Speech 5

Prof. Pelin Kaynak, MD.

Younger and More Energetic Looks With Eyelid Aesthetics!

Aynur Metin Terzibaşıoğlu, MD. The Importance & Effects of Good Posture

Sponsor Speech 6

Opening Speech

Aren Academy Organizer

Sponsor Speech

Hamid Aydın, MD.

Innovations in Hair Transplant

Prof. Ahmet Hakan Birkent, MD. Voice Aesthetic

Sevgi Şükran Ekmen, MD. Skin Rejuvenation Trends in Dermocosmetic

Sponsor Speech 2

Assoc. Cem Arıtürk, MD.

Healthy Vessels For Beautiful Legs

Sibel Malkoç, MD.

Golden Age in Womens Gynecology Health

Sponsor Speech 3

17-18 MARCH
17-18 MARCH
ASSOC. PROF. CEM ARITÜRK, MD. HALİL İBRAHİM CENTER, MED. DR. HAMİD AYDIN, MD.

SafeSense 3 Monitoring System

The smart combination of bed exit, motion monitoring, and wetness detection in order to help prevent falls and pressure injuries.

Available as an integrated solution or standalone option for the upgrade of the existing bed installed base.

@LINETMEA @LINET @LINETMEA
22_11_LINET MEA inzerce Hospitals Safesense 3_220x280_ver04.indd 1 10.11.2022 18:00
The Acuity Adaptable Hospital Bed Discover New Essenza 300 Empowering nurses to turn to the essence of care @LINETMEA @LINET @LINETMEA 23_02_Advert Hospitals- Essenza_220x280_ver02.indd 1 13.02.2023 15:54

U.S. News & World Report has spoken.

For decades, our team at Baylor St. Luke’s Medical Center, located in Houston, Texas, has been committed to providing leading-edge care delivered with compassion. And today, that focus remains the same. We are proud to be ranked among the nation’s best by U.S. News & World Report, and to continue providing exceptional care for our patients each and every day.

Learn more at StLukesHealth.org/bslmcinternational

We’re taking cancer care to a new level.

Look what's on the horizon.

O’Quinn Medical Tower, opening early 2023.

The expansion of the Baylor St. Luke’s Medical Center McNair Campus is creating space for more patients to receive expert care from our multidisciplinary team. Every part of the facility was designed with your full recovery in mind, from dozens of new exam rooms and endoscopy suites to natural lighting and balcony gardens. The new building will be home to the latest in cancer treatment, technology and equipment.

We’re investing in physicians, facilities, patient recoveries, and a new level of cancer care.

Find out more at stlukeshealth.org/international

Cleveland Clinic Abu Dhabi: UAE’s top hospital for 2nd straight year

Cleveland Clinic Abu Dhabi, a Mubadala Health partner, has been ranked the UAE’s top hospital for a second consecutive year in Newsweek’s 2023 ‘World’s Best Hospitals’ list. Cleveland Clinic Abu Dhabi is also the only hospital in the Gulf region ranking among the global list of top 250 hospitals from 28 countries. This is the fifth edition of the ‘World’s Best Hospitals’ list and is compiled based on several critical factors, including hospital quality metrics, patient experience and recommendations from reputed medical professionals. Over 80,000 medical experts were invited to be a part of the survey.

Hasan Jasem Al Nowais, Vice Chairman of Cleveland Clinic Abu Dhabi, and CEO of Mubadala Health, said: “A regional pioneer when it comes to healthcare innovation, Cleveland Clinic Abu Dhabi continues to push the envelope and serve as an industry benchmark for outstanding patient-centric care delivered through the adoption of the latest technological and medical advancements, and globally renowned multi-

THIS IS THE FIFTH EDITION OF THE ‘WORLD’S BEST HOSPITALS’ LIST AND IS COMPILED BASED ON SEVERAL CRITICAL FACTORS, INCLUDING HOSPITAL QUALITY METRICS, PATIENT EXPERIENCE AND RECOMMENDATIONS FROM REPUTED MEDICAL PROFESSIONALS.

disciplinary experts.” He added: “Being ranked as the UAE and GCC’s number one hospital by Newsweek is a testament to the hard work and commitment of our caregivers when it comes to delivering the highest quality care for our patients and enhancing the dynamic healthcare ecosystem across the region.”

Best place for caregivers and patients

Dr. Jorge Guzman, CEO of Cleveland Clinic Abu Dhabi, said: “We are incredibly proud to once again be ranked top on Newsweek’s global ‘World’s Best Hospitals’ list. Our vision is to be the best place to work for caregivers and the best place to receive compassionate care for our patients. We remain steadfast in our commitment to advancing healthcare in the UAE and wider region, enhancing access to world-class complex care through our state-of-the-art facilities, cutting-edge technology, and expert talent, placing us at the forefront of medical innovation and excellence.”

Burjeel Medical City in Abu Dhabi... Successful Kidney Transplant Surgery

AFilipino man in Sharjah has donated one of his kidneys to his wife to save her life in an inspiring act of selfless love.

Frederick Valiente, 38, a father of two, donated a kidney to his wife, 37-year-old Maria Theresa Coronel, in a complex eight-hour live transplantation surgery at the Burjeel Medical City in Abu Dhabi, the hospital said in a statement. The procedure included the donor operation, a laparoscopic live donor right nephrectomy, and the recipient operation, a live donor renal transplant.

According to Dr. Saif, the surgery was challenging due to the shorter length of blood vessels in the right kidney compared to the left kidney. “Both surgeries took place simultaneous-

THE PROCEDURE INCLUDED THE DONOR OPERATION, A LAPAROSCOPIC LIVE DONOR RIGHT NEPHRECTOMY, AND THE RECIPIENT OPERATION, A LIVE DONOR RENAL TRANSPLANT.

ly in a staggered fashion to keep the ischemia time — time that the kidney remains outside the body between being removed from the donor and transplanted into the recipient — to a minimum. The donor surgery was performed using a minimally invasive method — laparoscopically using 3D technology camera. The renal graft was then prepared and transplanted into the recipient wherein the blood vessels (artery and vein) and ureter are anastomosed [or cross-connected] to the recipient’s blood vessels and urinary bladder,” the doctor explained.

NEWS MAR.APR 2023 22
Dr. Ramamurthy Ganesan Baskaran, Consultant Transplant Anesthesiologist, and Dr. Nicholas Wyon, Consultant Intensivist at the hospital, were also a part of the transplant team.

LEA R N . G ROW. INN OVAT E .

Advance your career in healthcare with the Division of Continuing Professional Development at Weill Cornell Medicine-Qatar.

We provide high-quality learning opportunities for healthcare professionals that align with the latest scientific and medical developments.

What else can we do for you and your career in healthcare?

- We offer credits to meet medical licensing requirements.

- We develop and disseminate current evidence-based practice and education research.

- We support a community of healthcare professionals devoted to lifelong learning, which we welcome you to join.

Our priority is to facilitate the continual improvement of healthcare in Qatar and the region by providing valuable learning experiences in education, patient care, and research.

Join us today to take your healthcare career to the next level.

Find out more about our many workshops, conferences, training programs, seminars and webinars by scanning the QR code below.

Care.Discover.Teach

Emirates Health Services announces ‘Care AI’ and ‘Digital Twin’ projects at Arab Health 2023

Emirates Health Services (EHS) has launched the ‘Care AI’ and ‘Digital Twin’ projects which are the first of their kind in the region while taking part in the Arab Health Exhibition and Congress (Arab Health 2023), which took place at the Dubai World Trade Centre from 30 January to 2 February. EHS is participated in this year’s event under the theme ‘Shaping the future of healthcare’.

Her Excellency Mubaraka Ibrahim, Acting Chief Information Officer at Emirates Health Services, said: “The Care AI project is one of the latest and most advanced technology projects announced by Emirates Health Services. It consists of a basic system for a smart healthcare facility, supported by artificial intelligence for self-monitoring, tracking patient behaviour and movement, and assisting doctors in diagnosing patients using computer vision, in addition to automatically updating and analysing patient data. Care AI also allows for using AI technology based on the patients’ condition to continuously improve care based on collected information.”

“The project independently evaluates and tracks the extent of compliance with approved health and safety protocols across EHS’ affiliated facilities, in order to collect immediate information about the extent to which safety protocols are implemented, as well as to analyse and evaluate the patient’s condition, and monitor procedures followed while providing healthcare to patients,” H.E. added.

Digital Twin Project

The Digital Twin project, which Emirates Health Services is implementing in partnership with Schneider Electric and Microsoft, forms part of the comprehensive digital transformation EHS is leading in the health services it provides. Emirates Health Services established ‘Digital Twin’ for Al Qassimi Hospital, which aims to enhance EHS’ efforts towards sustainability and reduce the carbon footprint of its facilities, cutting energy consumption by up to 30% and

reducing breakdowns and maintenance work by up to 20%.

H.E. Mubaraka Ibrahim stated that the project aims to highlight the role of Digital Twin in driving sustainability across EHS’ health facilities, by focusing on monitoring and reducing carbon emissions, which, in turn, affects climate change, in line with the sustainable development goals adopted by the United Nations and the UAE.

The Acting Chief Information Officer at EHS explained the notable role that the project plays in improving tracking for energy used inside buildings, while comparing different patterns, such as the nature of the facility, to detect areas of potential improvement, determine priorities for modernisation and spending, and identify opportunities for using renewable and clean energy. The model can control and predict the optimal use of renewables, such as solar power, and adding it to energy derived from the electricity grid, so that reliance on renewable energy is maximized without affecting the stability of the system and business continuity.

26
Mubaraka Ibrahim
THE PROJECTS ARE THE FIRST OF THEIR KIND IN THE REGION AND AIM TO BOOST HEALTH, SAFETY, AND SUSTAINABILITY IN EHS’ HEALTHCARE FACILITIES.
NEWS MAR.APR 2023

Presight AI and G42 Healthcare sign a MOU to develop a foundational big data model set to revolutionize healthcare

analytical capability of both government entities and hospitals, improving record collection and understanding advanced digitized processes, such as optical character recognition (OCR) and natural language processing (NLP) used in the healthcare industry. This eases administrative practices, improves data accuracy, and reduces manual data entry. Additionally, machine-learning-based models will help unlock insights about patient demographics, health issues, diagnoses, and hospital and clinic resource utilization.

By combining data collected from smartwatches, wristbands, and advanced omics applications, organizations will advance personal health analytics with the goal of improving the early detection of health issues and provide recommendations on necessary dietary methods, sleeping schedules, and exercise plans for optimal health. In addition, the collaboration between Presight and G42 Healthcare will provide a wellness and performance management platform for athletes, guiding their dietary and training programs to enhance physical performance.

Presight AI, a G42 company, and the region’s international leader in Big Data Analytics powered by AI, has signed a MOU with G42 Healthcare, the leading AI healthtech company based in Abu Dhabi, to develop a foundational big data model.

Leveraging Presight’s omni-analytics platform and G42 Healthcare’s in-depth knowledge and expertise in the health industry, the collaboration will result in the exploration of population health management, wellness and performance data prediction, and time-sequenced events and behavioral analysis prediction.

The agreement was signed at Arab Health Week by Dr. Adel Al Sharji, Chief Operating Officer of Presight AI, and Ashish Koshy, Chief Executive Officer of G42 Healthcare.

The new collaboration will transform the

VISITORS CAN LOOK FORWARD TO EXPERIENCING THE LATEST INNOVATIONS FROM IN-VITRO AND INVIVO DIAGNOSTICS TO IMAGE-GUIDED THERAPY AND INNOVATIVE CANCER CARE .

Commenting on the collaboration, Dr. Adel Al Sharji, Chief Operating Officer of Presight AI, said: “At Presight, we are committed to leveraging the power of big data analytics powered by AI to drive the digital transformation across industries. This partnership with G42 Healthcare is the perfect example of how we are putting this commitment into action. The combined knowledge of both organizations has a significant positive impact by extending the quality of care provided in the region and creating new verticals in the healthcare industry led by data-driven insights.”

Ashish Koshy, Chief Executive Officer of G42 Healthcare, said: “The collaboration between G42 Healthcare and Presight AI is expanding the horizons of the healthcare industry, and will have a positive impact on transforming lives and making a real difference to health and well-being of people across the region.”

NEWS MAR.APR 2023 28
@promedicholding YOUR PARTNER IN HEALTHCARE PROJECTS

Zimmer Biomet enters an exclusive

with Ali Bin Ali Medical in Qatar

distributor

agreement

Zimmer Biomet Holdings, Inc. (NYSE and SIX: ZBH), a global medical technology leader, announced a new distributor agreement in Qatar. The agreement with Ali Bin Ali Medical (ABAM) will give the Qatar healthcare industry access to the Zimmer Biomet’s advanced technologies, surgical robotics and implants.

“It’s a transformative period in healthcare and the continued growth of Zimmer Biomet’s presence in the Middle East means we can help to alleviate pain and improve the quality of life for even more people – and that is our ultimate mission,” said Farah Hamdan, Zimmer Biomet General Manager, Middle East North Africa and Turkey.

“As part of Ali Bin Ali Medical’s vision to provide the best products and services to the healthcare sector in Qatar, ABAM is proud to reinforce its leadership in the marketplace and strengthen its presence through partnering with Zimmer Biomet,” said Monzer Abdel Samad, General Manager, ABAM.

Zimmer Biomet and ABAM will together serve the Qatari market, providing industry-leading solutions to customers and helping to improve patient outcomes. The MENAT region continues to be an important customer base for Zimmer Biomet, with a significant uptick in interest and adoption of its healthcare technologies over the past 10 years.

Abu Dhabi’s Sheikh Shakhbout Medical City... Baby born with wide gap in food pipe treated successfully

Anewborn infant born without a complete oesophagus (food pipe) has been successfully treated at Abu Dhabi’s Sheikh Shakhbout Medical City. The hospital said the infant was born with long-gap oesophageal atresia, a congential disorder where the food pipe or oesophagus does not form properly during pregnancy. This was combined with tracheoesophageal fistula (TEF), an abnormal connection between the oesophagus and the wind pipe or trachea. The combination of conditions meant the infant was unable to feed and breathe at the same time without choking. The SSMC’s medical team, which included an anaesthesiologist, a neonatal intensive care team, a paediatric surgeon, a speech and swallowing expert, and a dietitian worked together to treat the patient and restore function, allowing him to feed normally without facing breathing difficulties.

NEWS MAR.APR 2023 30
HOSPITALS CHILDREN’S BEST

New Digital Health Solutions Unit from Gulf Drug

hospitals, and medical facilities. These solutions include digital health applications, telemedicine, and medical equipment management. The goal of the unit is to help healthcare providers better manage and streamline their operations, while also providing better patient care.

“The digital health solutions will provide healthcare providers with access to real-time patient data and analytics, allowing them to make more informed decisions. It will also provide secure data transmission, which will help protect patient privacy and security.” said – Ibrahim Choucair, Digital Health Solutions Manager at Gulf Drug.

Gulf Drug, a leading provider of medical equipment and supplies, has announced the launch of a new unit, called digital health solutions. The company is committed to providing its customers with the latest technology and solutions that can help improve patient outcomes.

The new unit will focus on the development of digital solutions for healthcare providers,

THE NEW UNIT WILL FOCUS ON THE DEVELOPMENT OF DIGITAL SOLUTIONS FOR HEALTHCARE PROVIDERS, HOSPITALS, AND MEDICAL FACILITIES.

Gulf Drug Medical Equipment is dedicated to providing the best solutions to healthcare providers and is committed to providing the latest technology. The new unit is the latest step in the company’s mission to provide its customers with the latest solutions and technologies.

The company looks forward to seeing the positive impact that digital health solutions will have on healthcare providers and the patients they serve. It is confident that the new unit will help improve patient outcomes and provide healthcare providers with the tools they need to provide high-quality care.

King Abdulaziz Medical City - Riyadh First in EMEA to Earn Stage 7 Revalidation on New EMRAM

King Abdulaziz Medical City - Riyadh, a 1973-bed hospital managed by the Ministry of National Guard Health Affairs in Saudi Arabia, became the first hospital in Europe, the Middle East and Africa to achieve a revalidation at Stage 7 on the HIMSS Electronic Medical Record Adoption Model under its new, modernized standards.

King Abdulaziz Medical City - Riyadh — which was recently recognized as the world’s first system to earn a quadruple Stage 7 rating by HIMSS — has earned three EMRAM revalidations since it first earned Stage 7 on the maturity

model in 2017. The hospital has consistently ranked high on levels of EMR adoption.  In 2022, King Abdulaziz Medical City - Riyadh earned its fourth Stage 7 validation with its assessment on the HIMSS Infrastructure Adoption Model. The hospital has also rated Stage 7 validations on Outpatient Electronic Medical Record Adoption Model and the Adoption Model for Analytics Maturity. It has earned Stage 6 validation on the HIMSS Digital Imaging Adoption Model. The hospital has been assessed several times by HIMSS Digital Health Strategist John Rayner, who once again led the team responsible for the EMRAM Stage 7 revalidation.

NEWS MAR.APR 2023 32
THE HOSPITAL HAS BEEN ASSESSED SEVERAL TIMES BY HIMSS DIGITAL HEALTH STRATEGIST JOHN RAYNER, WHO ONCE AGAIN LED THE TEAM RESPONSIBLE FOR THE EMRAM STAGE 7 REVALIDATION.

Columbus, Ohio, may feel like a world away, but our faculty, researchers and facility have earned international reputations for expertise in rare and complex conditions. Our Cardiovascular team is leading groundbreaking development of a biodegradable tissue-engineered vascular graft for children with congenital heart defects. Our multidisciplinary Center for Colorectal and Pelvic Reconstruction excels in advanced care for even the rarest congenital disorders, motility issues, fecal incontinence concerns and more, for patients in more than 60 countries. And the powerhouse team at the helm of our Neurosurgery and Neuro-Oncology programs excels in both leadership and collaboration in multinational cancer research. When you’re here, you are the center of our attention. Come to Nationwide Children’s —nothing but the best in care, in an accessible, cosmopolitan city.

Reach out to our Global Patient Services team to find out why we should be your new global destination for complex care.

Learn more, refer a patient or plan a trip: NationwideChildrens.org/Global-Patient-Services

GlobalPatientServices@NationwideChildrens.org

+1 614 362 9127

Nationwide Children’s Hospital, Columbus, Ohio – USA

* Based on CHA survey of utilization and financial indicators AMERICA’S SECOND LARGEST CHILDREN’S HOSPITAL W295713
NATIONWIDE CHILDREN’S HOSPITAL WORLD-CLASS PROGRAMS. TRAILBLAZING RESEARCH. PERSONALIZED CARE.

Khaled bin Mohamed bin Zayed inaugurates Fatima bint Mubarak Center at

Cleveland Clinic Abu Dhabi

His Highness Sheikh Khaled bin Mohamed bin Zayed Al Nahyan, member of the Abu Dhabi Executive Council and Chairman of the Abu Dhabi Executive Office, has inaugurated the Fatima bint Mubarak Center at Cleveland Clinic Abu Dhabi, a Mubadala Health partner.

The inauguration of the Fatima bint Mubarak Center was attended by Abu Dhabi Government officials, members of Mubadala Investment Company’s leadership team, and senior guests from key local and international partners and organizations.

The Fatima bint Mubarak Center provides cutting-edge, personalized care throughout each cancer patient’s journey, including sophisticated screening and diagnostic testing, advanced radiation treatments, and precision cellular therapies. The 19,000sqm oncology center employs an expert team of 150 world-class nurses, physicians, and radiologists— who have

STATE-OF-THE-ART ONCOLOGY CENTER IN ABU DHABI PROVIDES WORLDCLASS SCREENING, DIAGNOSTICS, AND TREATMENT PLANS TO IMPROVE PATIENT OUTCOMES AND QUALITY OF LIFE.

experience caring for patients with the most critical and complex cancer challenges.

Modeled on Cleveland Clinic’s Taussig Cancer Center— ranked one of the top cancer facilities, the Fatima bint Mubarak Center in Abu Dhabi brings an integrated and transformative approach to diagnosing and treating cancer-related diseases in the region. The Fatima bint Mubarak Center has 32 exam rooms for multidisciplinary cancer consultation, 24 private infusion rooms for administering medications intravenously, two procedure rooms, and an area devoted exclusively to women’s oncology services.

Waleed Al Mokarrab Al Muhairi, Chairman of Cleveland Clinic Abu Dhabi and Deputy Group CEO of Mubadala Investment Company, said:

“It is a privilege and an honor to inaugurate the Fatima bint Mubarak Center in the presence of His Highness Sheikh Khaled bin Mohamed

NEWS MAR.APR 2023 34

bin Zayed Al Nahyan. The Fatima bint Mubarak Center provides patients access to worldclass screening, cutting-edge diagnostics, and personalized treatment plans to improve their outcomes and quality of life. The opening of the center represents a major milestone in the development of the region’s healthcare industry and enhances Abu Dhabi’s status as a global leader in the life sciences industry.”

Hasan Jasem Al Nowais, Vice Chairman of Cleveland Clinic Abu Dhabi and Chief Executive Officer of Mubadala Health, said: “I am proud to witness another vision of our nation’s leadership become a reality. The Fatima bint Mubarak Center employs a multidisciplinary oncology team with a wide array of skills and specialized knowledge to guarantee a comprehensive, patient-centric approach to developing treatment plans based on the individual’s history and condition. Building on Cleveland Clinic Abu Dhabi’s reputation for excellence, innovation, and empathetic care, the facility offers bespoke treatment plans in which psychologists, physiotherapists, and dietitians collaborate with world-class oncology specialists to deliver comprehensive care programs to patients and their families.”

Dr. Jorge Guzman, CEO of Cleveland Clinic

Abu Dhabi, said: “The Fatima bint Mubarak Center will transform the level of care available to cancer patients in the region and eliminate the need for them to travel overseas. The facility will participate in worldwide clinical trial programs benefiting from collaboration and expert knowledge sharing with partners across Cleveland Clinic’s global healthcare network. Cancer is currently the third most common cause of death in the UAE. The Fatima bint Mubarak Center will bring pioneering technologies and life-saving treatments to set a benchmark in the efficacy of cancer care in the region.”

The Fatima bint Mubarak Center, which has 24 clinical departments specializing in treating various forms of cancer, is led by Dr. Stephen Grobmyer, Chair of the Oncology Institute at Cleveland Clinic Abu Dhabi. Dr. Grobmyer has served as co-leader of the Cleveland Clinic

Comprehensive Breast Cancer Program from 2012 to 2019. He has published more than 195 peer-reviewed manuscripts, 20 book chapters, and delivered more than 100 lectures.

The naming of Abu Dhabi’s oncology center honors the pivotal leadership role played by Her Highness Sheikha Fatima bint Mubarak, Chairwoman of the General Women's Union, President of the Supreme Council for Motherhood and Childhood, Supreme Chairwoman of the Family Development Foundation, and the Mother of the Nation, in the development of the UAE’s healthcare sector.

By leveraging its strong connections to initiatives such as the Emirati Genome Project and the Abu Dhabi Stem Cell Centre, the Fatima bint Mubarak Center provides innovative radiation treatments and precision oncological cellular therapies that combat the various types of diseases found in the UAE.

Cleveland Clinic Foundation has announced that it will be naming two of its buildings after H.H. Sheikha Fatima bint Mubarak, while an academic chair in the name of Her Highness will be endowed in a tribute to Her Highness’ contributions to the advancement of healthcare and medicine worldwide.

THE FATIMA BINT MUBARAK CENTER PROVIDES CUTTING-EDGE, PERSONALIZED CARE THROUGHOUT EACH CANCER PATIENT’S JOURNEY, INCLUDING SOPHISTICATED SCREENING AND DIAGNOSTIC TESTING, ADVANCED RADIATION TREATMENTS, AND PRECISION CELLULAR THERAPIES.

NEWS MAR.APR 2023 36

Dubai Derma 2023 Features Exclusive Lectures, Workshops, and Products on Day 2

workshop titled Microneedling Treatment with the Use of Active Ingredients and NeopenMed Device by ToskaniMed. Dr. Noura dived deep into the revolutionary use of microneedling for the face to fight against anti-ageing and wrinkling. Using an innovative device called NeopenMed mixed with specific active ingredients, it provides lightening effects to the skin with immediate effects. This device can also be used as a non-invasive technique for hair loss.

Dubai continues to put healthcare at the forefront of its economic agenda as world-renowned experts and leading brand name companies from around the world have gathered to discuss and showcase the most advanced skincare and laser treatments, including the latest aesthetic cosmetic products during the Dubai World Dermatology and Laser Conference and Exhibition – Dubai Derma 2023.

The UAE continues to solidify its position as a leading international powerhouse for healthcare and business networking as more than 24,000 visitors and participants from 114 countries attended throughout the three-day conference and exhibition, where 480 regional and global companies were presenting more than 1,440 international brands.

Dubai Derma 2023 also provided a dedicated platform for companies to conduct special training and workshops focusing on presenting key advancements and developments of their products and innovations. These workshops provided an opportunity for hands-on training and key-insights into the products that experts are now utilizing to reshape the industry.

Italian-based Dr. Noura Lebbar, Aesthetic Surgeon and Professor at University of Genoa, delivered a specialized training session and

APPROXIMATELY 340 EXPERT SPEAKERS FROM AROUND THE WORLD ARE DELIVERED 360 SCIENTIFIC SESSIONS THAT FEATURE 80 WORKSHOPS, AND 90 DIGITAL POSTER PRESENTATIONS BY INTERNATIONAL PROFESSIONALS ARE ON DISPLAY.

Dr. Noura, stated: “In the last 20 years, the derma market for anti-aging and hair-loss has increased by more than 100%. Due to increased demand, we wanted to provide a non-invasive solution that can provide fast results safely and without any pain to the patient by combining microneedling and active ingredients. The old saying of “No pain, no gain” is made irrelevant through this technology which is also much safer than taking any form of drugs.”

Approximately 340 expert speakers from around the world are delivered 360 scientific sessions that feature 80 workshops, and 90 digital poster presentations by international professionals are on display.

One of the highlight lectures during the conference addressing the latest scientific developments in the field of dermatology was delivered by Professor Abdul Razzaque Ahmed MD, Professor of Dermatology at the Tufts University School of Medicine and Director for the Center for Blistering Diseases. The lecture touched on the early diagnosis of Pemphigoid of the Pulmonary System (POPS), which would produce better clinical outcomes and prevent mortality in this orphan disease.

Prof. Abdul Razzaque, stated: “It is very important to educate people about this disease which affects most people under the age of 40. Conferences like Dubai Derma, where people visit from around the world, give us the chance to spread early awareness about these diseases and diagnose them in an early stage where we can save patient’s lives.”

NEWS MAR.APR 2023 38
ARTICLE FEATURES . Green Hospitals MAR.APR 2023 40

Healthcare can use its ethical, economic, and political influence to be a leader in climate action. For years, the healthcare sectors have shifted qualitatively in environmental protection and transitioning to fully green institutions. They continue to develop this approach, as evidenced by the recent emergence of what is known as "working through the recovery mission." Today, more than 50 healthcare institutions represent the interests of over 14,000 hospitals and health centers in 24 countries racing towards "zero pollution" in healthcare without harm. This has become a pioneering indicator of the progress and positive transformation achieved by environmentally friendly hospitals.

It is scientifically established that climate change is already causing or exacerbating many health problems worldwide. As the earth's temperature rises, infectious diseases such as malaria, dengue fever, and others spread, threatening to abort the hard-won health gains in many parts of the planet. Additionally, increasing heat waves and their frequency lead to the death of tens of thousands and exacerbate asthma, heart disease, and heatstroke. Meanwhile, increasingly severe storms, droughts, fires, and floods damage human health and expose vulnerable and ill-prepared health systems to risk.

Therefore, in the context of the climate challenge, the leaders of most hospitals, health centers, and health systems worldwide have pledged to adhere to global standards for climate protection and to avoid any harm that hospital work may cause to the environment. The phenomenon of climate change has become an urgent issue in recent decades, posing the greatest threat to public health in the 21st century, as the Lancet Commission stated in 2009. Since then, the climate crisis has only deepened, and science has become increasingly indisputable, increasing the urgent need for constructive action.

The Health Effects of Environmental Pollution

Researchers confirm that if greenhouse gas emissions continue unchecked, the effects of

climate change could be severe and widespread within decades, potentially leading to uncontrollable public health issues. Fossil fuel emissions are a major source of local health problems, killing over four million people annually, according to the World Health Organization.

In October 2018, the International Panel on Climate Change (IPCC) issued a troubling report, finding that "avoiding the worst impacts of climate change requires rapid and unprecedented changes in all aspects of society." Such change includes the transformation of building engineering and management, which hospitals have been and continue to be leaders in as they convert to eco-friendly buildings and institutions to protect their patients and the broader community from any unknown health effects.

The transition to a zero-emissions economy will benefit both the climate and public health. Experts believe that healthcare, which accounts for 4.4 percent of global net emissions, should take primary prevention and align its operations and supply chains with the ambitious Paris Agreement to reduce emissions.

As healthcare providers, such as hospitals, healthcare systems, and government healthcare institutions, work to reduce their climate footprint and move towards zero emissions, they have been building the workforce and infrastructure to do so. Working with their communities, they have been flexible in responding and adapting to the evolving climate crisis. Hospitals and healthcare centers are playing a leadership role in their broader communities, advocating for the transition to a healthy, zero-emissions economy, and are continuing to make great strides in this direction.

The Essence of Environmental Health Transformation

How is this environmental health transformation achieved, and what is its essence?

Healthcare can help build a future of healthy hospitals and healthy people by implementing transformative climate solutions that reduce harmful pollution and enhance resilience. The challenge of healthcare's commitment to environmental conditions is building local or

AS HEALTHCARE PROVIDERS, SUCH AS HOSPITALS, HEALTHCARE SYSTEMS, AND GOVERNMENT HEALTHCARE INSTITUTIONS, WORK TO REDUCE THEIR CLIMATE FOOTPRINT AND MOVE TOWARDS ZERO EMISSIONS, THEY HAVE BEEN BUILDING THE WORKFORCE AND INFRASTRUCTURE TO DO SO. WORKING WITH THEIR COMMUNITIES, THEY HAVE BEEN FLEXIBLE IN RESPONDING AND ADAPTING TO THE EVOLVING CLIMATE CRISIS.

Green Hospitals . ARTICLE FEATURES
41
ARTICLE FEATURES . Green Hospitals MAR.APR 2023 42

global alliances that are environmentally friendly and committed to this transformation. At the forefront are healthcare institutions. This is where the "Healthcare Without Harm" initiative began, where this challenge requires healthcare institutions, from small clinics to large hospitals and healthcare systems, to commit to effective climate measures while building a collective, border-crossing impact.

Under the leadership of high-level climate leaders Nigel Topping and Gonzalo Muñoz, Race to Zero mobilizes non-governmental actors to join the environmentally friendly alliance. The "Healthcare Without Harm" campaign, supported by the United Nations, mobilizes non-governmental actors to take immediate and rigorous actions to transform into green institutions and achieve a healthier and more just carbon-free world. So far, more than 50 healthcare institutions representing the interests of more than 14,000 hospitals and health centers in 23 countries have joined Race to Zero with Health Care Without Harm. As entities concerned with health and safety, they know that preparedness is necessary to combat the climate crisis and that the road to recovery begins with transformative climate solutions. Therefore, hospitals have taken on this task and have transformed into green hospitals. By joining Race to Zero, healthcare institutions gain membership in the Health Care Climate Challenge, Global Green and Healthy Hospitals. These networks provide access to a range of tools, resources, and people to help healthcare institutions reduce carbon emissions and implement successful sustainability projects and programs.

Hospitals and the Climate Crisis

It is well-known that many hospitals around the world are major energy consumers, and therefore they can make significant reductions in greenhouse gas emissions. They can rely on renewable energy and other smart climate strategies to enhance access to healthcare and improve health outcomes. Many healthcare institutions have committed to leading the march towards emission-free and pollution-free healthcare, by setting clear and practical goals for it. They are working to implement energy-efficient

measures by deploying clean renewable energy to power their buildings, adopting purposeful procurement policies, and scientifically disposing of waste, among other measures.

One of the measures that healthcare institutions have committed to in order to become green institutions is building resilience to climate crisis and responding to its requirements. In order to secure the best service for their communities, hospitals and healthcare centers had to remain operational during extreme climate events and be equipped to respond to the healthcare needs of their immediate community, and be prepared to change disease patterns. For example, they pledge to be prepared for the effects of climate change by becoming more resilient in facing climate impacts and directing and supporting their communities to do the same. Green hospitals are working to implement a series of measures to ensure that their physical infrastructure, employees, and communities are ready to adapt immediately to extreme climate events, long-term effects of changing disease patterns, as well as other climate impacts.

ONE OF THE MEASURES THAT HEALTHCARE INSTITUTIONS HAVE COMMITTED TO IN ORDER TO BECOME GREEN INSTITUTIONS IS BUILDING RESILIENCE TO CLIMATE CRISIS AND RESPONDING TO ITS REQUIREMENTS.

43 Green Hospitals . ARTICLE FEATURES
MAR.APR 2023 ARTICLE FEATURES . Heart Disease in Women 44

Heart Disease in Women

Women experience the same symptoms as men but are affected differently

Many studies and research have shown that there are differences in the cardiovascular system between men and women, which is reflected in how they both develop heart disease. Unfortunately, many women are not aware of the risks of heart disease and its impact on their health. Therefore, they are less aware than men of the risk factors and the resulting symptoms. On the other hand, the awareness campaigns, conferences and educational seminars have contributed to raising the level of awareness.

Women have smaller blood vessels and heart chambers as well as fewer red blood cells. Hormonal changes that women experience during pregnancy, lactation and perimenopause affect their risk of developing heart disease later on.

Prior to menopause, women are 4 times less likely to experience a heart attack than men. Unfortunately, their lifestyle changes before reaching this age, in addition to unhealthy habits such as smoking, consumption of unhealthy food and emotional stress are all factors that contribute to developing heart disease in women.

Estrogen helps reduce a person’s risk of cardiovascular disease. But menopause and surgical menopause cause estrogen levels to drop. As a result, a person faces a higher risk of blood clots, plaque in the arteries, and high cholesterol. Broken heart syndrome is a heart condition that's often brought on by stressful situations and extreme emotions, which translated into heart failure. After menopause, the risk of developing heart disease as a result of experiencing emotional stress increases.

Several traditional risk factors for coronary heart disease — such as high cholesterol, high blood pressure and obesity — affect both women and men. But other factors may play a bigger role in the development of heart disease in women. Women with diabetes are more likely to develop heart disease than are men with diabetes. Also, because diabetes can change the

way women feel pain, there's an increased risk of having a silent heart attack — without symptoms. High blood pressure or diabetes during pregnancy can increase the mother's long-term risk of high blood pressure and diabetes. These conditions also make women more likely to get heart disease. Smoking is a greater risk factor for heart disease in women than it is in men. Obesity, smoking, inactivity and emotional stress and depression are all risk factors that increase the risk of heart disease.

Coronary heart disease, a blockage of the arteries that supply blood to the heart, is the most common type of heart disease.

Coronary heart disease is when the coronary arteries become narrowed by a build-up of fatty material within their walls. These arteries supply the heart muscle with oxygen-rich blood. Coronary heart disease develops slowly over time and the symptoms can be different for everyone.

Coronary heart disease is responsible for most heart attacks. Prevention is key. About two-thirds of women who have heart attacks do not recover completely. The risk of women developing coronary heart disease increases with age. But women of all ages should worry about heart disease.

45
Heart Disease in Women . ARTICLE FEATURES
WOMEN'S HEARTS ARE RELATIVELY DIFFERENT AND REQUIRE SPECIALIZED CARE.

Overweight and obesity are linked to higher LDL and triglyceride levels in the blood, which are all major risk factors of heart disease. Obesity is the cause behind heart disease, hypertension, diabetes among others; the World Health Organization has declared it as a major public health problem and a global epidemic.

Heart Disease Risk Factors for Women

There are some risk factors that are common to both sexes, but they affect women differently. A woman with diabetes is more likely to develop heart disease than a man with diabetes. The same goes for smoking, autoimmune disease or infections. In addition, there are other risk factors that are unique to women, such as those related to menstruation, menopause, or high blood pressure and diabetes during pregnancy. Heart disease risk factors for women include:

Pregnancy: Pregnancy stresses your heart and circulatory system. Preeclampsia greatly raises a person’s risk of developing hypertension and/or diabetes mellitus later in life. It raises the risk of a stroke. Gestational diabetes doubles a person’s risk of developing diabetes mellitus in the four months after delivery. It also raises the risk of cardiovascular disease throughout life.

Women’s health issues: Some health conditions, such as endometriosis, PCOS, gestational diabetes, or related complications such as pre-eclampsia, contribute to an increased risk of coronary heart disease.

Depression and loneliness: Depression is more common in women than in men, so they have more cortisol, known as the stress hormone, which is linked to heart disease. Depression increases the risk of heart disease, high blood pressure and cholesterol. Social isolation and loneliness increased the chance of developing heart disease.

Heartbreaks: Women get more emotionally affected by the surrounding situations than men, making them continuously vulnerable to heartbreaks and depression, which in turn make them more susceptible to serious heart disease.

Reaching puberty before age 12: The earlier a woman reaches puberty, the greater her chances of developing heart disease. This may be

due to high estrogen levels, which increase the chances of blood clots and heart attacks at an older age.

Acute influenza infection: Experiencing acute influenza infection increases the risk of heart attack and stroke, since it is caused by dangerous bacteria and viruses that can be transmitted to the heart, causing serious diseases.

Diet pills: Most types of diet pills are not effective and cause heart problems. They may raise blood pressure and increase the heart rate.

Frequent infections: Rheumatoid arthritis usually affects women more than men, and it increases their chances of developing heart disease. It causes inflammation in the body and affects blood vessels. Therefore, doctors and nutritionists advise to eat more anti-inflammatory foods to prevent heart disease.

Who is at higher risk?

The incidence of cardiovascular disease in women increases significantly after menopause, when the amount of circulating estrogen is reduced. However, this rate varies according to the woman's health in general.

Heart disease risk factors in women include:

• High levels of cholesterol or triglycerides are among the diseases that put women at risk, because they gradually narrow the arteries of the heart, and their effect is worse in women due to their small heart arteries.

• Cigarette smokers are 6 times more likely to get heart disease than nonsmokers. Cigarette smoking doubles a person's risk for stroke. Research shows that smoking can affect cholesterol, as people who smoke tend to have more LDL cholesterol than those who don't.

• Women with diabetes are more likely to develop heart disease than are men with diabetes. Also, because diabetes can change the way women feel pain, there's an increased risk of having a silent heart attack — without symptoms. People with diabetes have 2- 5 times the chance of getting cardiovascular disease

OVERWEIGHT AND OBESITY ARE LINKED TO HIGHER LDL AND TRIGLYCERIDE LEVELS IN THE BLOOD, WHICH ARE ALL MAJOR RISK FACTORS OF HEART DISEASE. OBESITY IS THE CAUSE BEHIND HEART DISEASE, HYPERTENSION, DIABETES AMONG OTHERS; THE WORLD HEALTH ORGANIZATION HAS DECLARED IT AS A MAJOR PUBLIC HEALTH PROBLEM AND A GLOBAL EPIDEMIC.

MAR.APR 2023 46
ARTICLE FEATURES . Heart Disease in Women

than people without diabetes.

• High blood pressure is a contributing factor that increases the risk of developing heart disease in women; the normal blood pressure should not exceed 140/90, and its treatment should not be neglected because it causes atherosclerosis.

• Women face a higher risk of obesity when they go through menopause. They’re also more likely to gain abdominal (belly) fat, which is linked with a higher risk for heart disease. Having obesity is more dangerous for women

than men. It increases a woman’s risk of coronary artery disease and nearly triples a woman’s risk for a heart attack.

• Emotional stress and depression: Women may experience broken heart syndrome, a heart condition that's often brought on by stressful situations and extreme emotions. Women who have a heart attack are much more likely than men to have symptoms of depression at the time. Women are more likely to experience psychosocial stress, meaning their stress comes from work, home, money problems or major life events.

47
Heart Disease in Women . ARTICLE FEATURES
LIFESTYLE CHANGES ARE AN ESSENTIAL PART OF THE TREATMENT PLAN.

• Not getting enough physical activity can lead to heart disease—even for people who have no other risk factors.

• Women’s size: It is known that a woman’s body shape is biologically smaller than that of a man, and the same applies to the heart. Women have smaller hearts and coronary arteries and some experts believe that small coronary arteries may become blocked by atherosclerosis more easily than large arteries.

Symptoms of heart disease in women

The most common heart attack symptom in women is the same as in men — some type of chest pain, pressure or discomfort that lasts more than a few minutes or comes and goes. But chest pain is not always severe or even the most noticeable symptom, particularly in women. Women are more likely than men to have heart attack symptoms unrelated to chest pain, such as:

• Nausea

• Sweating

• Shortness of breath

• Chest pain

• Unusual fatigue

• Upper back or abdomen discomfort

• Discomfort may radiate to the neck, jaw and shoulder

These symptoms can go away during times of rest, and the woman will feel fine and she was only experiencing signs of exhaustion or the hormonal change that comes with menopause. But in the meantime, the risk of a heart attack increases. As the disease progresses, different symptoms may appear in women, depending on the type of the disease. The woman may suffer from:

• Sweating

• Coughing

• Weight gain

• Heart palpitations

• Indigestion

• Heartburn

• Chest wheezing

• Stress and anxiety

• Headache

• Insomnia

• Fainting and dizziness

• Swelling of the feet and ankles.

Heart Disease Treatment

In general, heart disease treatment in women and in men is similar. It can include lifestyle changes, medications, angioplasty and stenting, or coronary bypass surgery.

After making lifestyle changes in terms of food, exercise and smoking, some health conditions such as diabetes, high blood pressure and cholesterol should be treated by taking medications to control their levels.

In other cases, the doctor recommends specific procedures such as coronary angioplasty, which is a procedure used to open clogged heart arteries. Angioplasty uses a tiny balloon catheter that is inserted in a blocked blood vessel to help widen it and improve blood flow to the heart.

Taking a daily aspirin can have a number of benefits for women. Aspirin prevents heart at-

EVERY WOMAN CAN PROTECT HERSELF FROM THE RISK OF HEART DISEASE BY ADOPTING A HEALTHY LIFESTYLE.

ARTICLE FEATURES . Heart Disease in Women

tacks and strokes, and it reduces the risk of heart disease. The patient should consult a doctor regarding the risks and benefits of aspirin.

Tips and advice to reduce the risk of heart disease

Leading a healthy life can help reduce the risk of heart disease.

• Stop smoking and stay away from passive smoking.

• Eat a healthy diet, choose whole grains, fruits, vegetables, low-fat dairy products and avoid saturated or trans fats, added sugars and high amounts of salt.

• Exercise regularly

• Maintain a healthy weight

• Manage stress as much as possible. One of the ways to overcome stress is to exer-

cise more, practice mindfulness exercises, connect with others and create social relationships to overcome loneliness.

• Stick to the treatment plan in case you are suffering from any medical condition such as blood pressure, anticoagulants and aspirin.

• Control other health problems such as high blood pressure, high cholesterol, and diabetes that increase the risk of heart disease.

Every woman can take small steps to protect herself from heart disease by following healthy habits throughout her life. Whether your heart disease is mild or severe, making lifestyle changes is an essential part of your doctor's treatment plan.

THE MOST COMMON HEART ATTACK SYMPTOM IN WOMEN IS THE SAME AS IN MEN — SOME TYPE OF CHEST PAIN, PRESSURE OR DISCOMFORT THAT LASTS MORE THAN A FEW MINUTES OR COMES AND GOES.

Heart Disease in Women . ARTICLE FEATURES
49

Cardiologist and Vascular Specialist At Baylor St. Luke’s Medical Center

HOSPITALS magazine had the honor to interview one of the pioneers in interventional cardiology, Professor Neil Strickman. He specializes in the nonsurgical treatment of Aortic Valve Stenosis –TAVR; Aortic Aneurysm- EVAR, TEVAR; And Carotid artery blockages. He started his career in 1980 and his main goal was to treat all patients as individuals with the latest technologies and highest ethical standards.

What are the most common types of cardiovascular diseases in women?

The most common type of heart disease that women and men get as they age is atherosclerosis meaning the hardening of the arteries causing heart disease, heart attacks and unstable chest pain. However, it does not affect only the heart; it can affect arteries anywhere in the body. The main challenge in women is that they have smaller blood vessels, so they tend to build up fats, cholesterol and substances faster than men.

Are women at a higher risk for heart disease than men?

In my practice, the percentage between the two genders is 40% women and 60% men, and the average age for both is 70. Nevertheless, we see more and more women at a younger age having heart problems.

However, I think women are at a higher risk because they are more in denial because they think these problems are exclusive to their spouses or partners, so they tend to ignore the symptoms they might have.

But they have the same risk.

THE MAIN DIFFERENCE BETWEEN MEN AND WOMEN IS THAT WOMEN OFTEN IGNORE OR LACK RECOGNITION OF MANY OF THE RISK FACTORS, WHICH IS A RISK FACTOR BY ITSELF. RAISING AWARENESS AMONGST WOMEN IS THE FIRST STEP TO LOWERING CARDIOVASCULAR RISK.

How do symptoms of heart disease differ between men and women?

I think the main difference between men and women is that women often ignore or lack recognition of many of the risk factors, which is a risk factor by itself. Raising awareness amongst women is the first step to lowering cardiovascular risk. Moreover, because sometimes heart attack symptoms in women do not include classic angina or chest pain, they should pay more attention to their bodies and not be shy about asking questions and consulting a specialist.

How can women reduce the risk of developing heart disease?

They can take care of the modifiable risk factors because we cannot modify our genes, so:

• Controlling blood pressure

• Controlling BMI and being active

• Quitting smoking

• Controlling cholesterol and triglyceride levels

• Consult your physician about cardiovascular screening based on family history and risk factors.

INTERVIEW
"Our hospital was founded on the idea to teach and educate future doctors worldwide. This is our legacy."
Professor Neil Strickman
INTERVIEWS / Women and Heart Disease
MAR.APR 2023 50

What are female-specific disorders that increase a woman’s risk of heart disease?

Hormones play a role in women’s heart health, estrogen can be heart protective, and women have a higher estrogen level in the pre-menopausal years. However, as menopause approaches, estrogen declines, so we see more cardiovascular incidence in women after menopause, and it keeps on going up, especially after 65.

Could birth control pills put women at greater risk for cardiovascular disease?

One of the things about birth control pills is that they increase blood clotting disorders; many young women I have seen have blood clots in

THE MAIN CHALLENGE IN WOMEN IS THAT THEY HAVE SMALLER BLOOD VESSELS, SO THEY TEND TO BUILD UP FATS, CHOLESTEROL AND SUBSTANCES FASTER THAN MEN.

their legs or lungs due to birth control pills, so we advise them to stop once, we discover this. Combining smoking and taking birth control pills can increase the risk of heart disease by approximately 20%. As birth control pills tend to increase a woman’s blood pressure and the incidence of blood clots, if any woman has other risk factors for heart disease, we advise her to stop taking them to avoid any heart complications in the future.

INTERVIEWS / Women and Heart Disease
51

What are the most common types of cardiovascular disease in women?

The common types of heart disease are:

Coronary Artery Disease (CAD): CAD is the leading killer in both men and women. Women are more likely than men to have nonobstructive CAD, where the arteries may not appear significantly blocked but still have limited blood flow. Women are also more likely to have spontaneous coronary artery dissection and the phenomenon of broken heart syndrome or stress cardiomyopathy.

Heart Failure: Heart failure occurs when the heart cannot pump enough blood to meet the body's needs. Women are more likely than men to develop heart failure with preserved ejection fraction, in which the heart muscle becomes stiff and cannot relax properly between beats.

Arrhythmias: Arrhythmias are abnormal heart rhythms and women are more likely than men to develop certain arrhythmias, such as atrial fibrillation.

Pregnancy-related heart diseases and

Dr. Yasir Parviz

Consultant Interventional Cardiologist at Clemenceau Medical Center, Dubai / UK Board Certified

While heart disease is often thought of as a "man's disease," it is the leading cause of death for both men and women worldwide. "Hospitals" Magazine had the privilege to meet with Dr. Yasir Parviz, Interventional Cardiologist Consultant at Clemenceau Medical Center, Dubai, to talk about women and heart disease. Dr. Parviz said there are some important differences between men and women regarding heart disease. For example, women are more likely to experience heart disease later in life than men, typically after menopause. Below is the full interview:

changes in hemodynamics can be exclusively seen in women.

Are women at a higher risk for heart disease than men?

Yes, women are at a higher risk for heart disease than men in certain circumstances. While heart disease is often thought of as a "man's disease," it is the leading cause of death for both men and women worldwide.

However, there are some important differences between men and women when it comes to heart disease. For example, women are more likely to experience heart disease later in life than men, typically after menopause.

Certain risk factors for heart disease are more common in women than men, including autoimmune diseases, such as lupus, and pregnancy-related conditions, such as preeclampsia and gestational diabetes.

Studies and research have shown many differences in the cardiovascular system

INTERVIEW
"By adopting healthy lifestyle habits, women can help maintain a healthy heart and reduce the risk of heart disease."
INTERVIEWS / Women and Heart Disease
MAR.APR 2023 52
HEART DISEASE IS THE LEADING CAUSE OF DEATH IN WOMEN, SO IT IS IMPORTANT TO BE AWARE OF THE WARNING SIGNS AND SEEK MEDICAL ATTENTION IF ANY SYMPTOMS ARISE.

between men and women; what are these differences?

There are important differences between men and women in their cardiovascular systems.

Hormonal Differences: Hormonal differences between men and women can affect their cardiovascular health. For example, estrogen levels in women have been found to be protective against heart disease, while testosterone levels in men have been associated with an increased risk of heart disease. Similarly, there are differences in the structure of the heart and blood vessels between men and women. For example, women tend to have smaller blood vessels and a thinner inner layer.

What are the warning signs to look for in women?

Heart disease is the leading cause of death in women, so it is important to be aware of the warning signs and seek medical attention if any symptoms arise. Some of the warning signs of heart disease in women include:

Chest pain or discomfort: This is the most common symptom of heart disease in both men and women. It may feel like pressure, squeezing, or tightness in the chest.

Shortness of breath: Women may experience shortness of breath even without chest pain. It may feel like they can't catch their breath or like they're suffocating.

Fatigue: Women may feel unusually tired or exhausted, even with normal daily activities.

Nausea or vomiting: Women may experience nausea or vomiting, which can sometimes be mistaken for other conditions.

Pain or discomfort in other areas of the body: Women may experience pain or discomfort in the arms, back, neck, jaw, or stomach.

Sweating: Women may experience sudden sweating with no apparent cause.

Dizziness or lightheadedness: Women may feel dizzy or lightheaded, sometimes leading to fainting.

It is important to note that women may experience different symptoms than men and may not always experience chest pain. If you or someone you know is experiencing any of these symptoms, seek medical attention immediately.

What can a woman do to reduce the risk of developing heart disease?

Heart disease is a leading cause of death in women, but there are steps that women can take to reduce their risk of developing it. Here are some of the most effective strategies:

Exercise regularly: Regular physical activity can help keep the heart healthy and reduce the risk of heart disease. Aim for at least 30 minutes of moderate-intensity exercise most days of the week.

Maintain a healthy weight: Being overweight or obese increases the risk of heart disease. Try to maintain a healthy weight by eating a balanced diet and exercising regularly.

Eat a healthy diet: A diet rich in fruits, vegetables, whole grains, and lean proteins can help keep the heart healthy. Limiting saturated fats, trans fats, and added sugars can also help reduce the risk of heart disease.

Don't smoke: Smoking is a significant risk factor for heart disease. If you smoke, consider quitting. If you don't smoke, don't start.

Manage stress: Chronic stress can take a toll on the heart. Finding healthy ways to manage stress, such as meditation, yoga, or deep breathing, can help reduce the risk of heart disease.

Control blood pressure and cholesterol levels: High blood pressure and high cholesterol levels can increase the risk of heart disease. Talk to your doctor about ways to manage these conditions if you have them.

Get regular check-ups: Regular check-ups with your healthcare provider can help identify risk factors for heart disease and provide guidance on how to reduce them.

What are female-specific disorders that increase a woman's risk of heart disease?

Several female-specific disorders can increase a woman's risk of heart disease. Some

INTERVIEWS / Women and Heart Disease
IT IS IMPORTANT TO NOTE THAT WOMEN MAY EXPERIENCE DIFFERENT SYMPTOMS THAN MEN AND MAY NOT ALWAYS EXPERIENCE CHEST PAIN. IF YOU OR SOMEONE YOU KNOW IS EXPERIENCING ANY OF THESE SYMPTOMS, SEEK MEDICAL ATTENTION IMMEDIATELY.
53

of these disorders include:

Polycystic ovary syndrome (PCOS): PCOS is a hormonal disorder that can cause irregular periods, excessive hair growth, acne, and weight gain. Women with PCOS are also at increased risk of insulin resistance, which can lead to type 2 diabetes and an increased risk of heart disease.

Pregnancy-related disorders: Women who experience complications during pregnancy, such as gestational diabetes, preeclampsia, or preterm delivery, are at increased risk of developing heart disease later in life.

Menopause: The drop in estrogen levels during menopause can lead to changes in cholesterol levels and blood pressure, increasing the risk of heart disease.

Autoimmune diseases: Certain autoimmune diseases, such as lupus and rheumatoid arthritis, are more common in women and can increase the risk of heart disease.

Mental health disorders: Depression, anxiety, and other mental health disorders are more common in women and have been linked to an increased risk of heart disease.

Could birth control pills, pregnancy history (including any complications I had during my pregnancies), or menopause put women at greater risk for cardiovascular disease?

Yes, birth control pills, pregnancy history (including any complications during pregnancies), and menopause can all affect a woman's risk for cardiovascular disease.

Birth control pills: Some studies suggest that certain types of birth control pills may increase a woman's risk for blood clots, which can lead to heart attacks and strokes. However, this risk is generally small and depends on other factors such as age, smoking, and pre-existing medical conditions.

Pregnancy history: Complications during pregnancy, such as preeclampsia, gestational diabetes, and preterm delivery, have been associated with increased risk for cardiovascular diseases later in life. Women who have had multiple pregnancies may also be at higher risk.

Menopause: After menopause, a woman's risk for cardiovascular disease increases. This is

OBESITY CAN CONTRIBUTE TO THE DEVELOPMENT OF HEART DISEASE IN SEVERAL WAYS. FOR EXAMPLE, OBESITY CAN INCREASE THE RISK OF HIGH BLOOD PRESSURE, HIGH CHOLESTEROL LEVELS, AND DIABETES, ALL OF WHICH ARE MAJOR RISK FACTORS FOR HEART DISEASE. OBESITY CAN ALSO LEAD TO INFLAMMATION AND DAMAGE TO THE BLOOD VESSELS, CONTRIBUTING TO ATHEROSCLEROSIS, A CONDITION IN WHICH PLAQUE BUILDS UP IN THE ARTERIES AND RESTRICTS BLOOD FLOW.

thought to be due in part to changes in hormone levels, which can affect blood vessels and cholesterol levels.

Other factors contributing to a woman's risk for cardiovascular disease include smoking, high blood pressure, high cholesterol, physical inactivity, and family history of heart disease. It's important for women to discuss their individual risk factors with their healthcare provider and take steps to maintain a healthy lifestyle and manage any medical conditions.

Why heart attack symptoms are sometimes missed in women?

There are several reasons why heart attack symptoms are sometimes missed in women. Some of these reasons include the following:

Different symptoms: Women may experience different heart attack symptoms than men. While men typically experience chest pain or discomfort, women may experience more subtle symptoms such as shortness of breath, fatigue, nausea, vomiting, back or jaw pain, and lightheadedness. These symptoms may not be recognized as indicators of a heart attack, leading to a delayed diagnosis.

Underestimation of risk: Women are often considered to have a lower risk of heart disease than men, leading to healthcare providers underestimating the possibility of a heart attack in women.

Delay in seeking care: Women may delay seeking medical care when experiencing symptoms of a heart attack, possibly due to a lack of awareness of heart disease risk or misinterpretation of symptoms related to other conditions.

Bias in research: Historically, heart disease research has focused primarily on men, which has led to a gap in understanding of how heart disease presents in women. As a result, healthcare providers may be less likely to recognize symptoms of heart disease in women.

Is there any correlation between heart disease and obesity?

Yes, there is a strong correlation between heart disease and obesity. Obesity is a significant risk factor for heart disease, and individuals who

MAR.APR 2023 54 INTERVIEW INTERVIEWS / Women and Heart Disease

are obese have a higher risk of developing heart disease than those who are not obese.

Obesity can contribute to the development of heart disease in several ways. For example, obesity can increase the risk of high blood pressure, high cholesterol levels, and diabetes, all of which are major risk factors for heart disease. Obesity can also lead to inflammation and damage to the blood vessels, contributing to atherosclerosis, a condition in which plaque builds up in the arteries and restricts blood flow.

In addition, obesity can cause the heart to work harder than it should, leading to an enlarged heart and heart failure. Obesity can also contribute to sleep apnea, associated with an increased risk of heart disease. Therefore, it is important to maintain a healthy weight through a healthy diet and regular physical activity to reduce the risk of heart disease.

What are the ways to keep a woman's heart healthy?

Maintaining a healthy heart is important for everyone, including women. Here are some ways to keep a woman's heart healthy:

Eat a heart-healthy diet: A diet rich in fruits, vegetables, whole grains, lean proteins, and healthy fats can help lower the risk of heart disease.

Exercise regularly: Regular physical activity, such as brisk walking, jogging, cycling, or swimming, can help maintain a healthy weight, reduce stress, and improve heart health.

Manage stress: Chronic stress can contribute to heart disease, so it's important to find ways to manage stress, such as meditation, yoga, or deep breathing exercises.

Quit smoking: Smoking is a major risk factor for heart disease, so quitting smoking can help reduce the risk.

Limit alcohol consumption: Drinking too much alcohol can raise blood pressure and increase the risk of heart disease, so it is important to limit alcohol consumption.

Maintain a healthy weight: Being overweight or obese can increase the risk of heart disease, so maintaining a healthy weight through a healthy diet and regular exercise is important.

Get enough sleep: Getting enough sleep is essential for overall health, including heart health.

Monitor blood pressure and cholesterol: High blood pressure and high cholesterol can increase the risk of heart disease, so it is important to check them regularly and manage them if necessary.

Stay up-to-date with regular check-ups: Regular check-ups with a healthcare provider can help detect and manage potential heart health issues early on.

By adopting these healthy lifestyle habits, women can help maintain a healthy heart and reduce the risk of heart disease.

55 INTERVIEWS / Women and Heart Disease
FOR MORE DETAILS: +971 800 262 392 WWW.CMCDUBAI.AE
BIRTH CONTROL PILLS, PREGNANCY HISTORY, AND MENOPAUSE CAN ALL AFFECT A WOMAN'S RISK FOR CARDIOVASCULAR DISEASE.

Women's Hearts at Risk More Than Men's!

While the heart beats approximately 2.5 billion times during its lifetime, it carries oxygen, nutrition, hormones and a number of basic cells thanks to the millions of liters of blood it pumps throughout the body. To stop means that the basic functions of the body also immediately fail.

The data of the World Health Organization shows that, unfortunately, according to the total number of death worldwide, the leading causes are cardiovascular diseases, including ischemic heart disease and stroke. It has been reported that ischemic heart diseases are responsible for 16% of the total deaths in the world.

THE CAUSE OF A HEART ATTACK IN WOMEN IS NOT A BLOCKAGE IN THE HEART VESSELS, BUT A SPASM OR RUPTURE.

MEDICAL INSTITUTIONS
MAR.APR 2023 56

Studies show that while death toll due to heart disease in men has decreased steadily over the last 25 years, such a change has not been observed in women. Due to the positive effects of estrogen on the cardiovascular system, women at younger ages are more advantageous in terms of cardiovascular disease compared to men, while the difference between men and women disappears with menopause, and the risk of cardiovascular diseases begins to be seen at the same rates. Some conditions that have risk factors for cardiovascular disease, but do not show symptoms due to the effect of estrogen before menopause, prepare the ground for serious heart disease after menopause. Therefore, it is necessary to increase awareness of heart disease in women.

Cardiovascular Risk Factors for Women

The most common causes of cardiovascular health are obesity, smoking, hypertension, diabetes, high cholesterol and inactivity.

Obesity is an important problem in women. Obesity, both on its own and by causing high blood pressure, diabetes and elevated blood cholesterol levels, adversely affects heart health. High blood pressure and high cholesterol are often accompanied by high triglyceride levels. When pathological conditions such as insulin resistance, high cholesterol, and dysfunction of vessel wall cells are added together with obesity, the risk of heart disease increases considerably.

Unlike men, additional risk factors such as menopause, pre-eclampsia, gestational diabetes, gestational hypertension, cystic disease of the ovaries, breast cancer, depression-psychosocial factors also pose a risk for cardiovascular disease in women.

Estrogen, Pregnancy, Menopause

Estrogen is the dominant hormone in women. Estrogen has the ability to protect the integrity of the vessel wall cells and prevent wall thickening. In other words, it prevents the onset of atherosclerosis. It also has a regulatory effect on coagulation. It indirectly increases HDL levels, which is good cholesterol, and decreases LDL,

which is bad cholesterol.

Decreased estrogen levels in postmenopausal women place a significant risk of developing cardiovascular disease in smaller blood vessels. Blockages in small arteries can restrict blood flow to the heart. Although it does not cause obvious symptoms most of the time, it prepares the grounds for cardiovascular disease for women.

Oral contraceptives used as a premenopausal contraceptive method are factors that increase cardiovascular risk, as they contain estrogen, as well as progesterone, which has the opposite effect of estrogen. Birth control pills alone increase the risk of cardiovascular disease. This increase is 7 times higher in smokers using birth control pills. Elimination of multiple risk factors in women is important to prevent cardiovascular disease and to reduce deaths.

In addition, although the cause cannot be fully explained, normal physiological changes during pregnancy may reveal underlying health problems in some women with certain risk factors. Even temporary, a negative pregnancy outcome can cause changes in the blood vessels and heart, increasing a woman's risk of cardiovascular disease.

Female Heart Disease

Women's hearts are smaller than men's. The stroke volume of the heart is 10 percent less. Heart rate is high. The menstrual cycle causes changes in blood coagulation and electrocardiographic (ECG) findings. Although the vascular structure is thinner, the stenoses are long. The rate of obstructive stenosis is less common in women. The cause of a heart attack in women is not a blockage in the heart vessels, but a spasm or rupture.

Contrary to popular belief, cardiovascular disease cause more deaths in women than breast cancer. However, women do not understand a heart attack in time because of different symptoms than expected. It is noticed late.

THE DATA OF THE WORLD HEALTH ORGANIZATION SHOWS THAT, UNFORTUNATELY, ACCORDING TO THE TOTAL NUMBER OF DEATH WORLDWIDE, THE LEADING CAUSES ARE CARDIOVASCULAR DISEASE, INCLUDING ISCHEMIC HEART DISEASE AND STROKE. IT HAS BEEN REPORTED THAT ISCHEMIC HEART DISEASE ARE RESPONSIBLE FOR 16% OF THE TOTAL DEATHS IN THE WORLD.

MEDICAL INSTITUTIONS 57

However, early diagnosis of a possible heart disease is important by detecting the symptoms early. While the most common symptom of a heart attack is pain in the form of pressure in the chest, this symptom is not seen in women who have had a heart attack for the first time. They mostly experience back and jaw pain, sudden onset of fatigue and shortness of breath. There may be complaints of sweating and pain in the upper abdomen mixed with stomach pain. Except for Heart Attacks (when part of the heart muscle dies from loss of blood flow), women can get any type of heart disease. The most common type of heart disease among women is coronary artery disease such as Angina (chest pain from lack of blood flow), Heart failure (when your heart can't pump enough blood to meet your body's needs), Arrhythmia (a problem with the rate or rhythm of your heartbeat).

But there are certain types of heart disease which are less common, but affect women more often than men:

They may feel chest pain caused by spasms (sudden narrowing) that block blood flow in the smallest arteries of the heart, often at rest or during routine activities. (Coronary microvascular disease)

They may feel strong chest pain or a heart attack, caused by the stress of strong emotions such as deep grief, anger, or bewilderment, which often affect women after menopause and often cause no lasting damage. (Broken heart syndrome)

There may be rare severe chest pains caused by spasms in the heart arteries during sleep. They can cause a heart attack. (Variant Angina)

Protection of Cardiovascular Disease

The best thing to do to prevent cardiovascular disease is to change your habits and make your daily life healthier. First of all, weight, blood pressure and cholesterol levels should be determined. Smoking should be stopped. If there is a family history of heart disease, heart failure, cardiomyopathy or other heart conditions, this detail should be shared with the doctor. When warning signs such as chest pain, shortness of

breath, unexplained fatigue, fainting, dizziness and flu-like symptoms should be observed, a doctor should be consulted. A control examination should be done every 3 years until the age of 40, 4 times in total between the ages of 4050, 5 times between the ages of 50-60, and once every year after the age of 60. If there is abnormality detected in any of these controls, then the frequency of control should be increased.

Regular exercise reduces the risk of cardiovascular disease. 150 minutes of moderate-intensity aerobic activity or 75 minutes of vigorous-intensity aerobic activity, or a combination of both, is recommended. A heart-healthy diet should be preferred along with exercise.

Although cardiovascular disease is basically known as "men's disease", it is "women's disaster". It is less common in women, but it is much more lethal. Unfortunately, cardiovascular diseases are mostly seen as a male disease and its importance in women is not emphasized enough. Women should be aware of the cardiovascular disease that threaten them and learn and implement precautions to reduce the risk factors that lead to heart diseases. If we are aware of the danger, deaths caused by cardiovascular disease can be prevented.

CARDIOVASCULAR DISEASE IS BASICALLY KNOWN AS "MEN'S DISEASE", IT IS "WOMEN'S DISASTER". IT IS LESS COMMON IN WOMEN, BUT IT IS MUCH MORE LETHAL. UNFORTUNATELY, CARDIOVASCULAR DISEASES ARE MOSTLY SEEN AS A MALE DISEASE AND ITS IMPORTANCE IN WOMEN IS NOT EMPHASIZED ENOUGH.

MAR.APR 2023 58
MEDICAL INSTITUTIONS

For Laura Douglass, MD, the retirement of her mentor, the renowned reproductive endocrinologist Arthur Haney, MD, didn’t come as a surprise.

“I was a resident with him during my medical training from 2009 to 2013,” said Laura Douglass, an obstetrician-gynecologist at the University of Chicago Medicine. “And he recruited me to come back to UChicago after my residency because he was ready to retire. So, I knew from the start that time was short, and we needed to prepare for

the transition because we didn’t want the entire program to rest on one person’s shoulders.”

After all, Haney has helped to prevent pregnancy losses in thousands of patients through a complex procedure that strengthens the cervix, called transabdominal cerclage. He retired in the fall of 2020.

About 1% of women have a condition known as cervical insufficiency, once called incompetent cervix. It causes weak cervical tissue dilates prematurely during pregnancy, leading

ABOUT 1% OF WOMEN HAVE A CONDITION KNOWN AS CERVICAL INSUFFICIENCY, ONCE CALLED INCOMPETENT CERVIX.

MAR.APR 2023 60 MEDICAL INSTITUTIONS
UChicago Medicine transabdominal cerclage team helps prevent pregnancy losses for hundreds of families each year
Laura Douglass, MD, (left) and Andrew Fisher, MD, learned how to perform transabdominal cerclage from the pioneering gynecological surgeon Arthur Haney, MD. Now they use their skills to help prevent hundreds of pregnancy losses each year

to premature birth or, frequently, the loss of a pregnancy. Often, the condition is diagnosed after a second trimester pregnancy loss — and for those who have experienced it, the prospect of another is devastating.

“I went through four losses before I found out about cervical insufficiency,” said Alana Scott, of Markham, Illinois. “I didn’t plan on having kids, but I found out I was pregnant and then had a miscarriage almost immediately, and we never talked about it, we just pushed past it. “After the third time, I knew there was something wrong with me, but I was scared to find out because I didn’t want to go through this ever again — but then boom, I was pregnant again. And when that pregnancy began to fail, even after a transvaginal cerclage, I was transferred to UChicago Medicine, where they told me that they could help figure out what was going on before I got pregnant again.”

There were no treatments for cervical insufficiency until the development of a technique known as the McDonald or transvaginal cerclage in the 1950s. Typically used in cases where a patient is already pregnant and experiencing cervical dilation, the procedure involves placing a band of sutures around the lower part of the cervix, essentially tying it shut. While the transvaginal cerclage has a high rate of success, it doesn’t work for everyone.

An Alternative to Transvaginal Cerclage

During his tenure at UChicago Medicine, Haney championed an alternative treatment: transabdominal cerclage, or TAC. The technique involves surgical placement of a sturdy, woven band around the top of the cervix, which supports the weight of the growing pregnancy and prevents the cervix from opening prematurely.

“I like to use a balloon analogy,” said Andrew Fisher, MD, Assistant Professor of Obstetrics and Gynecology at UChicago Medicine. “If you think of the uterus as a balloon expanding as it fills, a transvaginal cerclage is like pinching the bottom of the balloon and holding on until

eventually it gives way. But if you tie a string higher around the base of the balloon, it’ll hold that pressure for much longer.”

TACs are usually placed prior to pregnancy and are permanent. Individuals with a TAC in place must deliver via a scheduled C-section, and the band can be left in place for any future pregnancies. At UChicago Medicine, the procedure is over 95% successful allowing for a late or full-term delivery (meaning delivery occurs at 36 weeks of pregnancy or later).

The procedure is challenging and rare: Most hospitals may conduct only five or 10 such surgeries each year. But thanks to Haney’s legacy, UChicago Medicine conducts hundreds of TAC procedures annually.

The Transabdominal Cerclage Program is led by Douglass, Assistant Professor of Obstetrics and Gynecology, and supported by Fisher, who came to UChicago Medicine in June 2020 to train with Haney prior to his retirement. Their focus is on growing the support team and empowering patients to understand their options.

“We’re not just teaching a bunch of people how to do this procedure just because it’s uncommon,” said Douglass. “We feel strongly that if someone is going to do this, they need to be a good gynecological surgeon. It’s important for this procedure to be conducted at a center of excellence, by people who place them frequently.”

Because cervical insufficiency is rare, and providers offering TAC are rarer still, patients come to UChicago Medicine from around the world for the procedure. The team has found that the pandemic-induced shift toward telemedicine has made screening and preparing patients much easier.

“Many patients have already discussed cerclage with their providers, so by the time we see them for a consultation, they’ve done their homework,” said Douglass. “The shift toward video consultations during the pandemic has been a huge boon. We can go over a patient’s records and discuss the pros and cons of doing this procedure, because it’s not the right fit for

DURING HIS TENURE AT UCHICAGO MEDICINE, HANEY CHAMPIONED AN ALTERNATIVE TREATMENT: TRANSABDOMINAL CERCLAGE, OR TAC. THE TECHNIQUE INVOLVES SURGICAL PLACEMENT OF A STURDY, WOVEN BAND AROUND THE TOP OF THE CERVIX, WHICH SUPPORTS THE WEIGHT OF THE GROWING PREGNANCY AND PREVENTS THE CERVIX FROM OPENING PREMATURELY.

61 MEDICAL INSTITUTIONS

everyone. Being able to talk to patients virtually and make that connection is fantastic.”

In Scott’s case, it was a whirlwind decision to have the TAC placed.

“UChicago Medicine took me in when I was about seven weeks pregnant, and Dr. Douglass said we needed to place the cerclage by nine weeks,” she said. “So, my husband and I dove into the information we had and saw that it had a long recovery period — it wasn’t a guarantee that the baby would reach term. But we decided we had run out of options, and if this could help save the baby, then it’s a no-brainer.”

Complications of TAC are rare and typically are related to inexperienced surgeons. “It’s easy to do this procedure badly,” said Douglass. “You need to be really sure you’re getting great placement to get a good result. But for us, the surgery is straightforward, because we know what to do and how to put them in.”

What’s next for the TAC program?

As the program at UChicago Medicine continues to grow, the team hopes to develop a research program focused on understanding which patients are the best candidates for TAC and which patients should be watched closely for potential complications.

“Historically, we have great results with this procedure, and we’re not interested in changing the recipe,” Douglass said. “The biggest thing will be analyzing our historical data to determine how well this procedure works for patients from different populations, of different ages, with single or multiple births. We’d also like to see what we can do to make the recovery from this surgery easier on patients and make it more of an outpatient procedure.”

Fisher and Douglas also hope there will be broader awareness among other healthcare providers about TAC as an option.

“I don’t think physicians talk enough with one another or their patients about how trau-

matic it is to experience repeated, pre-viable pregnancy loss,” said Fisher. “I think that’s the biggest risk for most of our patients, and their biggest concern. Everything is on the line for them. Surgical risks exist, but those are rare when you compare it to the likelihood of going through this trauma again without an intervention like this. Patients need to know that this is an option, and that we’re here to help.”

Ultimately, the goal of the TAC program remains the same: making sure that loving parents can finally bring home a baby. For Scott, it was all worth it.

“At 37 weeks of pregnancy, on December 23, I went in and had a C-section, and everything went as planned,” she said. “I still have the cerclage, though I don’t think we’ll have another child. Everything that I went through and fighting so hard for my son, I don’t think that mentally I could handle another pregnancy.

“At the end of the day, I’m very happy I met Dr. Douglass. I owe her a lot. She helped my husband and me get through this. If I hadn’t come to UChicago Medicine, I would never have known TAC was available. It saved my son’s life.”

FOR MORE INFORMATION, VISIT WWW.UCHICAGOMEDICINE.ORG/GLOBAL

OF THE THOUSANDS OF ACUTECARE FACILITIES NATIONWIDE, THE 811-BED UNIVERSITY OF CHICAGO MEDICAL CENTER IS ONE OF ONLY 22 HOSPITALS IN THE COUNTRY TO HAVE EARNED THE TOP GRADE IN ALL 22 OF THE LEAPFROG GROUP’S SEMIANNUAL REPORT CARDS, WHICH STARTED IN 2012.

MAR.APR 2023 62
MEDICAL INSTITUTIONS

Pituitary Gland Tumors (Pituitary Adenomas)

Pituitary Gland

The pituitary gland is a small oval-shaped pea-sized structure located in the base of the skull below the brain. It is connected to the brain, namely the hypothalamus, by a structure called the Pituitary Stalk. The hypothalamus is a vital part of the brain. It controls the balance of the body's functions through hormones released from the pituitary gland. The latter is known as the 'master gland' because it controls the activities of most of the hormone-secreting glands in the body.

Mr. (C.C.) presented to Al-Ahli Hospital with a complaint of progressive visual loss over six months. Upon evaluation at the Ophthalmology and Neurology Clinics, he was found to have Optic Atrophy and loss of parts of his visual field (Bitemporal Hemianopia). MRI revealed a large pituitary adenoma compressing on the optic apparatus (Fig 1).

He was then referred to the Neurosurgery Clinic for further evaluation and treatment. Hormonal investigations revealed the presence of endocrinological disturbance due to over secretion of (Prolactin) Hormone from the tumor itself. This is one of the few tumors that can be treated with medicines alone. However, in this particular case, we opted for surgical tumor removal. That was based on the advanced stage of optic nerve injury, which could have left the patient blind had there been a further delay in removing the pressure from the optic nerves. The patient discussed the condition in detail and indications for surgery were explained. The surgical procedure was performed through the nostrils without requiring a craniotomy (skull opening). The surgery went smoothly, and the patient could recover vision promptly afterward. He was discharged on the 3rd day after the surgery in excellent condition. Follow-up scan after surgery showed satisfactory results (Fig 2).

Disorders of the pituitary gland could include:

1. Endocrinological disturbance; due to increased or decreased Hormone secretion. Besides hormonal disturbance, patients may present with a wide range of symptoms that include Infertility, Erectile dysfunction.

2. Ophthalmologic disturbance due to pressure effect on the optic apparatus

3. Very large tumors could obstruct the CSF pathway and cause Hydrocephalus.

Anatomically, the pituitary gland is divided into three parts;

1. The anterior part of the Pituitary gland is responsible for the secretion of the following hormones: Prolactin, Growth Hormone (GH), Adrenocorticotrophic Hormone (ACTH), Thyroid Stimulating Hormone (TSH), Follicle Stimulating Hormone (FSH) and Luteinizing Hormone (LH).

2. The posterior Pituitary, on the other hand, is responsible for the secretion of Antidiuretic Hormone (ADH AKA Vasopressin) and Oxytocin.

3. The middle part of the gland is responsible for Melanocyte Stimulating Hormone (MSH) secretion.

Disturbance of the pituitary gland may be

THE PITUITARY GLAND IS A SMALL OVAL-SHAPED PEASIZED STRUCTURE LOCATED IN THE BASE OF THE SKULL BELOW THE BRAIN. IT IS CONNECTED TO THE BRAIN, NAMELY THE HYPOTHALAMUS, BY A STRUCTURE CALLED THE PITUITARY STALK. THE HYPOTHALAMUS IS A VITAL PART OF THE BRAIN. IT CONTROLS THE BALANCE OF THE BODY'S FUNCTIONS THROUGH HORMONES RELEASED FROM THE PITUITARY GLAND.

ARTICLES
MAR.APR 2023 64
Dr. Hazem Alkatreeb Dr. El Fatih Bashir Elmalik

caused by a tumor of the gland (adenoma), infarction, infection (hypophysitis), or rarely metastatic tumors to the pituitary gland.

Incidence

Pituitary Gland tumors (Adenomas) account for up to 15% of intracranial tumors. They are classified into Microadenmoa (Less than 10 mm in diameter) and Macroadenoma (More than 10 mm).

Symptoms are usually caused by:

1. Hormonal Secretions: Those tumors could produce hormones and are called secretary adenomas such as Prolactinomas (Tumors that secrete prolactin hormone …. etc.).

2. Compressive effect of adjoining structures mainly optic apparatus and possibly adjacent parts of the brain.

Presentation: Usually patients present to one of the following clinics according to their

specific complaints; Ophthalmology, Endocrinology, Neurology, Gynecology, or Andrology. Sometimes, these tumors are only discovered by chance upon performing brain images for other reasons. These lesions, which are incidentally discovered, are often named “Incidentaloma.”

Treatment: depends on clinical, endocrinological and radiological assessment. Those large tumors with compressive effects on nearby vital structures usually require surgical resection. An exception is Prolactinoma, which could often be treated with medications.

When surgical intervention is indicated, the preferred standard approach nowadays is via the nostril (Trans nasal). Rarely do neurosurgeons nowadays remove these tumors by Craniotomy. The latter approach could still be utilized in certain exceptional circumstances.

Radiotherapy is sometimes used as adjuvant therapy after surgery for pituitary adenoma. This applies to large tumors or those that cannot be removed completely to prevent tumor recurrence and regrowth.

References

M E Molitch, Diagnosis and Treatment of Pituitary Adenomas: A Review. JAMA . 2017 Feb 7;317(5):516-524.

Samridhi Banskota and David C. Adamson, Pituitary Adenomas: From Diagnosis to Therapeutics. Biomedicines. 2021 May; 9(5): 494. Warrick J. Inder and Christina Jang, Treatment of Prolactinoma. Medicina (Kaunas). 2022 Aug; 58(8): 1095.

65 ARTICLE
(Fig 1) Sagittal and Coronal post-contrast MRI scans showing a large pituitary adenoma compression the optic apparatus (Fig 2) Sagittal and Coronal post-contrast MRI scans after surgery demonstrate evidence of tumor removal and satisfactory decompression of the optic apparatus
ARTICLES
MAR.APR 2023 66 ARTICLE FEATURES . #HOSPOTEL

A turning point in healthcare services, combining Hospitals and Hotel Experience

Hotels and hospitals share many fundamental characteristics. Both serve increasingly demanding and knowledgeable customers, employ a sizeable hierarchical structure of staff and workers with varying levels of responsibility, and have incentives increasingly linked to customer and patient ratings. This is a pivotal point where the success of a hotel or medical institution depends on customer care through improving the quality of service provided.

In the hotel industry, years of management experience and market research have led to extensive improvements and innovations to satisfy customers. However, there was little exchange of knowledge and management between the hotel and hospital industries until changes in the healthcare system emerged, pushing hospitals to develop their focus on patients to a more hotel-like service approach due to research showing positive effects on patient satisfaction and recovery time after medical procedures."

The hospitality industry has always been aware of the goals: guest satisfaction and surpassing expectations. It has dedicated decades of efforts to improve its services and administrative structures.

Studies in this field have agreed that hospitals can and should benefit from achievements in the hotel industry to improve patient satisfaction without repeating similar research and studies on market trends. These studies have shown that this leads to rapid improvements in patient experiences, and this success factor has contributed to the transformation of hospitals from traditional to hotel hospitals.

In addition to its impact on payment, patient satisfaction may be a sign of clinical quality. Healthcare and hospitality were included in a survey conducted by HCAHPS (Hospital Consumer Assessment of Healthcare Providers and Systems), the first national and public survey

of patients' perspectives on hospital care. The survey included questions on various issues, including communication with nurses and doctors, hospital staff response, calmness and cleanliness, pain management, medication administration, discharge planning, and even the hospital's cost-based reimbursement program, quality of services, and level of care provided.

In this context, a recent study published by the New England Journal of Medicine showed that high patient satisfaction scores are related to several factors. According to the survey, what satisfies the patient is not only medical procedures but also care, service, communication, and comfort in the place of residence. These requirements push hospitals to adopt procedures that make them closer to a hotel than a haven for disease victims and cries of pain.

The hotel industry has always been aware of this goal: to satisfy guests at a minimum and to exceed their expectations as a goal. Its management has dedicated contracts of effort and resources to improve its products and administrative structures.

THE HOSPITALITY INDUSTRY HAS ALWAYS BEEN AWARE OF THE GOALS: GUEST SATISFACTION AND SURPASSING EXPECTATIONS. IT HAS DEDICATED DECADES OF EFFORTS TO IMPROVE ITS SERVICES AND ADMINISTRATIVE STRUCTURES.

#HOSPOTEL
#HOSPOTEL . ARTICLE FEATURES
67

Experts believe that hospitals can easily benefit from the lessons that the hotel industry has learned the hard way. Adopting and adapting hotel practices to healthcare can significantly improve patient acceptance and satisfaction, ultimately benefiting hospital management, doctors, staff, and, most importantly, patients.

Studies also show that the World Doctor Rating directly relates to communication skills, including showing respect, listening carefully, giving easy-to-understand instructions, spending enough time, and explaining things. Interestingly, improving communication between doctor and patient has also been linked to improving patient outcomes, underscoring its importance. A simple gesture, such as a doctor standing beside a patient's bed, can make a difference. It enhances communication with patients, their families, and caregivers.

There are many similarities between the hotel and the hospital, the most important of which is the focus on guests/patients who receive accommodation and services. Both employ an extensive hierarchical sequence of workers with varying levels of responsibility. Studies have shown that a high nurse-to-patient ratio and good communication with nursing positively impact patient satisfaction. Similarly, in hotels, the concierge and the housekeeping, restaurant, and bar staff are essential for providing a good customer experience. Just as the hotel industry offers customer service training for all team members, all hospital staff should be included in measures to improve satisfaction.

One of the main differences between hotels and hospitals, and a potential improvement area, is the pre-admission experience. Before admission, patients receive questionnaires about their current medical condition and often refrain from food and water due to a surgical appointment, contributing to increased anxiety and discomfort. Providing patients with as much information as possible regarding their upcoming admission helps reduce this anxiety.

Common Mechanisms of Success

Despite efforts to improve many areas of patient experience, things can still go wrong. Hotels have proactive mechanisms to identify

and address patient dissatisfaction and problems or to correct them when possible. For example, suppose an employee determines that a guest is unhappy with a particular meal or that the room needs to be adequately cleaned. In that case, the manager will contact the guest (before filing a complaint) to offer a discount or credit for any unsatisfactory service. Guests are pleasantly surprised by this gesture, which turns an unhappy guest into a lifelong customer.

The same can be applied in a hospital setting. To succeed, dissatisfied patients must be identified early by relevant staff and their concerns addressed as quickly as possible. If a patient is unhappy, the opportunity to correct their impression of the hospital disappears when he leaves. Therefore, doctors, in particular, must spend more time communicating face-to-face with patients when complications arise. We should be aware that fixing a bad experience can leave a better impression than having no problem in the first place.

These methods have contributed in recent years to transforming hospitals from traditional practices to a hotel-like approach in dealing with patients while maintaining the quality of healthcare practices. It took little effort for researchers to demonstrate that this pioneering experience in hospotel significantly impacted patient satisfaction and hospital success.

EXPERTS BELIEVE THAT HOSPITALS CAN EASILY BENEFIT FROM THE LESSONS THAT THE HOTEL INDUSTRY HAS LEARNED THE HARD WAY. ADOPTING AND ADAPTING HOTEL PRACTICES TO HEALTHCARE CAN SIGNIFICANTLY IMPROVE PATIENT ACCEPTANCE AND SATISFACTION, ULTIMATELY BENEFITING HOSPITAL MANAGEMENT, DOCTORS, STAFF, AND, MOST IMPORTANTLY, PATIENTS.

MAR.APR 2023 68 ARTICLE FEATURES . #HOSPOTEL
69 Ahrend healthcare specialists In collaboration with healthcare specialists, architects and consultancy firms, Ahrend develops vitalising and welcoming furnishing solutions. Supporting both patient and specialist. Go to www.ahrend.com for more information. @Ahrend @Ahrend @AhrendOffice

Fakeeh University Hospital: Hospitality Solutions Transforming Patient Care

delivery models and hotel sector trends to build a hospital that delivers a unique blend of healthcare and hospitality services. Our goal was to build a true Smart Hospital that uses cuttingedge healthcare technology and provides the same level of service that patients would expect from a hotel.

The patient's journey begins at home. We began by developing a mobile application that allows patients to arrange appointments without having to call the call center. This mobile app also offers patients with hospital information as well as doctor notes, results, and documents from their appointment, making it easier for them to navigate their healthcare journey.

We also made certain that we had adequate drop-off and parking alternatives in our multistory car parking space. For patients who require extra assistance, we provide a first-inDubai motorized wheelchair option that is well received by our patients, making life easier for both caregivers and patients.

Patient care and comfort should always be prioritized in healthcare. That's why, at Fakeeh University Hospital, we developed a new approach to boosting patient satisfaction by adding hospitality solutions. We realize the importance of providing patients with the highest quality care and service as a leading healthcare provider in the Middle East. That's why we went to the hospitality industry for inspiration, adapting their customer-centric approach to create new solutions that meet the demands of our patients.

With more than 45 years of experience running hospitals and outpatient clinics, we understand what patients and their families require. At the planning stage of our hospital, we conducted comprehensive patient journey surveys and analyzed the newest trends in care

We also developed the largest closed atrium in our hospital, named pavilion to provide patients and staff with a peaceful and healing environment. Within the same space, we have the tallest green wall with living plants, an art gallery, and a piano that is occasionally played by great artists and itself. With the hospital's art gallery, we've launched a corporate social responsibility program for local artists, allowing them to meet more people and create an art atmosphere for patients and staff to enjoy.

We built digital medical signages to provide patients with simple access to information and directions because information flow is an important part of hospitality. Our digital system, which is coupled with our in-house HIS technology, allows clinicians to upload information and updates in real time, allowing patients to simply navigate the hospital.

Our patient rooms are also equipped with

ARTICLES
WE BUILT DIGITAL MEDICAL SIGNAGES TO PROVIDE PATIENTS WITH SIMPLE ACCESS TO INFORMATION AND DIRECTIONS BECAUSE INFORMATION FLOW IS AN IMPORTANT PART OF HOSPITALITY.
MAR.APR 2023 70
Dr. Fatih Mehmet Gul, Vice President UAE and Growth Office, CEO FUH

the newest technologies to enhance the patient experience. We collaborated with a global furniture manufacturer to organize the furniture models in accordance with the most recent medical-grade furniture trends, ensuring that the quality and comfort of our patients are not compromised. Our patient beds are equipped with connected beds, which allow us to better understand the patient's routines and be there for them in the event of an emergency.

To provide patients with a more personalized experience, we acquired a hospitality software solution and medicalized it to offer similar hospitality and medical services to our patients and family. This solution is extremely adaptable, allowing us to add new services as required by the operation. Our hospitality software receives the order and prepares the room when patients begin their admission process at the admission office. Opens the curtains, turns on the lights, turns on the air conditioner, and prepares the room for the patients. When the patient enters the room, a welcome greeting from the hospital CEO will be displayed on the TV screen. All our rooms has an iPad installed on the overbed table. After patient's initial touch to iPad, the app starts with

an introduction. On the first screen patients see the information regarding doctor, nurse and the room. It's a good thing we're becoming better at this, because it's a lot easier to treat patients when we're not in the hospital. Patients may easily adjust their room atmosphere, order food, watch TV and movies, and communicate with hospital departments.

During the COVID-19 pandemic, our iPads allowed us to communicate with patients without even entering the room via video calls, and our patients were able to communicate with their relatives at all times. This approach was a tremendous comfort to our patients during these trying times, making them feel more connected to the hospital and their loved ones.

At Fakeeh University Hospital, we realize that patient care entails more than just treating their condition; it also entails creating a relaxing and healing environment. Our innovative hospitality solutions give the finest level of care and comfort to patients, allowing them to concentrate on their recovery. We hope to transform patient care and have a beneficial impact on the healthcare business by combining cutting-edge healthcare technology with hospitality solutions.

TO PROVIDE PATIENTS WITH A MORE PERSONALIZED EXPERIENCE, WE ACQUIRED A HOSPITALITY SOFTWARE SOLUTION AND MEDICALIZED IT TO OFFER SIMILAR HOSPITALITY AND MEDICAL SERVICES TO OUR PATIENTS AND FAMILY.
ARTICLES 71

Dr. Stella Major

Dr. Stella Major is Associate Professor of Family Medicine in Clinical Medicine and Director of the Clinical Skills and Simulation Lab at Weill Cornell MedicineQatar (WCM-Q). With more than 30 years of experience as a clinician, medical educator and researcher, Dr. Major has held faculty and leadership positions at institutions in the UK, Lebanon and the UAE. Dr. Major is a certified simulation educator (CHSE-A) by the Society for Simulation in Healthcare (SSH) and a SimUniversity faculty member for the Society in Europe for Simulation Applied to medicine (SESAM). She joined WCM-Q in 2013. Dr. Major spoke with HOSPITALS magazine to discuss the growing role of simulation-based education in healthcare and the strengths of this approach.

Why has simulation-based training become such an important element of medical programs?

First of all, thank you for inviting me to share with you my personal journey as a leader in simulation-based education at WCM-Q, which supports its faculty and staff members to invest time into endeavors that enhance health professions education and practice in the State of Qatar. To put it simply, simulationbased training has emerged as a key strand of medical education because it really works. The research shows us that it is a highly effective training modality, and this is in large part due to the scenario-debrief training approach. This

provides opportunities for learners to analyze their own behavior in carefully designed scenarios and through this process to develop key human factor skills, which are as essential for healthcare professionals as technical, taskbased skills. These human factor skills have been identified and defined as situational awareness, communication, teamwork, leadership, decisionmaking, and care and compassion. If these skills are well-developed, healthcare professionals are able to apply their technical skills and knowledge more effectively in real-world situations, leading to better outcomes for patients.

What motivated you to create the Simulation Educator Course: Designing and Debriefing Effective Simulations program/workshop as a Continuing Professional Development activity at WCM-Q?

To illustrate the motivation for the creation of this course, I need to provide you with a short background on WCM-Q’s institutional developments regarding simulation-based education. In 2015, I co-led the re-design of our clinical skills center, which was expanded from six clinical examination rooms to 12, and from 790 to 975 square meters. The center, which was renamed the Clinical Skills and Simulation Lab (CSSL), was also upgraded with a wide range of state-of-the-art teaching aids. In 2017, to celebrate the re-opening of CSSL, as its director, and chair of the Qatar Simulation Consortium,

THE GOAL OF THIS COURSE IS TO HAVE PARTICIPANTS ACTIVELY USE EVIDENCE-BASED METHODS TO DESIGN AND DEBRIEF SIMULATIONS WITH THEIR LEARNERS, WHETHER THEY ARE STUDENTS OR PRACTICING PROFESSIONALS IN THE CLINICAL ENVIRONMENT. PSYCHOLOGICAL SAFETY IS A KEY ELEMENT FOR LEARNERS TO FEEL ABLE TO PARTICIPATE FULLY IN SIMULATION EXERCISES AND TO REFLECT ON BEHAVIORS AND DECISIONS DURING DEBRIEFING.

MAR.APR 2023 INTERVIEWS 72
Associate Professor of Family Medicine in Clinical Medicine and Director of the Clinical Skills and Simulation Lab at Weill Cornell Medicine-Qatar (WCM-Q)
"Simulation-based training provides opportunities for learners to develop key human factor skills, which are as essential for healthcare professionals as technical, task-based skills."

I received support from the institution to launch WCM-Q’s inaugural annual “Optimizing Health Professions Education with SimulationBased Learning” symposium for educators and healthcare practitioners in Qatar. Each year, the symposium which is accredited by the Accreditation Council for Continuing Medical Education (ACCME) and the Ministry of Public Health’s Department of Healthcare Professions – Accreditation Section, grew from strength to strength and in 2019 we also welcomed participants from beyond Qatar as we were joined by professionals from across the Middle East and North African region. This process was boosted by our transition at that time from inperson to online delivery, which was prompted by the COVID-19 pandemic.

With simulation-based training becoming more embedded into health training programs across diverse healthcare professions and across the continuum, it became evident that the symposium had successfully met the goal of bringing together simulation enthusiasts, and that networks had been created for collaboration and peer support. At the 2019 simulation symposium, a large number of the respondents in the post-symposium survey requested more frequent courses on topics such as simulation scenario design, debriefing, facilitation and operations.

Drawing upon guidance on professional development described by the International Healthcare Simulation Standards of Best Practice, my team and I applied for and were successfully awarded an educator grant from the Division of Continuing Professional Development at WCM-Q to design and deliver our institutional simulation educator course. We did this in collaboration with Prof. Michelle Brown, Associate Professor and Director of the Healthcare Simulation Graduate Program at the University of Alabama (UAB). Joining me as course directors were Prof. Brown and Mr. Joshua Vognsen, Simulation Education Specialist at WCM-Q. This led us to deliver the first iteration of the new course in May 2022.

Can you describe the goal of the course you created and the factors that influenced the type of training you developed?

The goal of this course is to have participants

actively use evidence-based methods to design and debrief simulations with their learners, whether they are students or practicing professionals in the clinical environment. Psychological safety is a key element for learners to feel able to participate fully in simulation exercises and to reflect on behaviors and decisions during debriefing. The participants learn how to create an environment in which learners can take risks and practice at the edge of their ability. Participants are shown templates that demonstrate how to build scenarios, and how to craft learning objectives, which guide the design of the scenario. They also learn how to select a simulation modality that best suits the scenario and learning objectives. Participants learn and practice debriefing techniques and focused facilitation skills based on live debriefing, written and video vignettes and simulated patient role play. Throughout the course, participants obtain immediate feedback and coaching from the workshop facilitators to strengthen their debriefing skills.

Who is the target audience and how do healthcare professionals benefit from undertaking this training?

This course is suitable for any healthcare professional or educator who is interested in expanding their knowledge and skills in simulation-based learning. Additionally, it is accredited by the Accreditation Council for Continuing Medical Education (ACCME) and the Ministry of Public Health’s Department of Healthcare Professions – Accreditation Section.

How would you envision the future of this activity and topic?

This course has been planned as an initial step towards building a more robust and sustainable simulation educator faculty development curriculum. It was developed with sustainability in mind to support the ongoing local need for new educators to be oriented to the best practices of simulation-based education, as well as the opportunity for more seasoned simulation professionals to engage in ongoing refresher training.

THE NEXT OFFERING OF THIS COURSE WILL BE ON MAY 27 & 28, 2023, IN PERSON AT WCM-Q. REGISTRATION FOR THE COURSE IS NOW OPEN: HTTPS:// WCMQ.CLOUD-CME. COM/COURSE/ COURSEOVERVIEW?P=5&EID=3356

73 INTERVIEWS

Aesthetic Applications Are Safer in Experienced Hands

Appearance is an important factor that affects a person's career and future due to the positive perception at first glance. Of course, it is impossible to be perfect, but it is easier to reach the solution of your aesthetic problems that you think you have. It is possible to get near-perfect results, especially thanks to the developing techniques and the superior health services offered.

Bülent SAÇAK, Professor of Aesthetic, Plastic and Reconstructive Surgery at Acıbadem Ataşehir Hospital, has been doing reconstructive and aesthetic works for 20 years. In addition to breast surgery, which is among the most frequently performed aesthetic surgical procedures, he also performs facial rejuvenation, rhinoplasty and body shaping. Prof. SAÇAK, give information about breast surgery, rhinoplasty and liposuction among the aesthetic procedures he applied.

Breast Surgeries; Augmentation, Lift, Reduction

Breast surgery is a general term that covers all breast surgeries for “RECONSTRUCTIVE” or “AESTHETIC” purposes.

• Reconstruction Surgeries, which mean the reconstruction of the breast tissue, can be performed as soon as the breast tissue is removed during breast cancer surgery or if needed afterwards.

• Breast Aesthetics aims to improve the overall shape and form of the breast and can be performed on any patient aged 18 and over, when requested.

• Aesthetic breast surgery consists of various procedures. One of these is Breast Augmentation Mammoplasty, in which the overall volume of the breast is increased using predominantly silicone prostheses or fat grafts.

• Breast Lift or Mastopexy is an operation to correct sagging of the breast and improve the shape of the breast without a comprehensive change in breast volume.

• Breast Reduction Surgery is the process of reducing the breast volume according to the patient's demand in order to reduce important complaints such as neck pain and skin problems. During this process, the nipple position

BREAST SURGERY IS A GENERAL TERM THAT COVERS ALL BREAST SURGERIES FOR “RECONSTRUCTIVE” OR “AESTHETIC” PURPOSES: RECONSTRUCTION SURGERIES, BREAST AESTHETICS, BREAST AUGMENTATION MAMMOPLASTY, BREAST LIFT OR MASTOPEXY, AND BREAST REDUCTION SURGERY.

MAR.APR 2023 74
Bülent SAÇAK, Professor of Aesthetic, Plastic and Reconstructive Surgery at Acıbadem Ataşehir Hospital

is also adjusted. Any woman over the age of 18 who has no co-morbidities can apply for a consultation about breast volume or shape.

Rhinoplasty: Nose Remodeling

Rhinoplasty is a surgical procedure performed to reshape the existing shape of the nose in harmony with the face and also to eliminate airway problems if needed. Rhinoplasty can be performed on all patients who are over the age of 18 and do not have any concomitant disease. Conditions such as the hardening of the cartilage structure and the decrease in patient satisfaction after rhinoplasty make this surgery difficult in advanced age. The generally preferred age range for rhinoplasty is over the age of 18 and under the age of 30. The hospital stay after rhinoplasty is mostly limited to one night and one day. The patients are discharged after dressing their noses and it takes about a week for the dressing to be removed. The first control after the operation is done on the 7th day.

If the patient does not have any problems, he can return to work after 10 to 14 days.

Rhinoplasty is generally considered a safe procedure. However, it is a sensitive operation and the most common complication after surgery in the early period is pain. Literature data at late follow-up show that 10-15% of patients want revision surgery. All patients who will have rhinoplasty should be told that they may need revision in some cases, but not always.

Liposuction: Body Shaping

Liposuction is a procedure for body shaping, not for weight loss. It is performed to remove subcutaneous fat and to give the body a better shape by using special devices and cannulas. Liposuction is performed solely or often combined with other procedures such as abdominoplasty. This application is considered a surgical procedure and all precautions similar to other surgeries are taken before and during the surgery. Any patient aged 18 and over, who does not have a co-morbid disease, can have liposuction to reshape or re-count the excess fat in their body. If the patient is well and does not have severe pain after liposuction, they can be discharged from the hospital on the first day or the day after surgery.

After the surgery, patients wear special pressure garments to reduce swelling and edema in the areas where liposuction is performed. These are kept for up to three weeks and they are free to return back to their normal life without any issues.

Liposuction only aims to remove fat just under the skin and above the muscles, so the most common complication is some bruising and pain. In very few cases, a small amount of fluid called a seroma may collect just under the skin. These are the major risks in the early term. In the late period, some patients may not be satisfied with the result. This is mostly due to misunderstanding and miscommunication between the surgeon and the patient.

FOR A SUCCESSFUL PLASTIC SURGERY PROCESS, CONTACT YOUR SURGEON, ASK EVERY DETAIL, HIGHLIGHT YOUR COMPLAINTS AND EXPECTATIONS.

For a successful aesthetic surgery process

In aesthetic surgery, patient safety is as important as the final result of the patient. For a successful plastic surgery process, contact your surgeon, ask every detail, highlight your complaints and expectations. Much more importantly, get your surgery done in a comprehensive health facility and remember that what you need is not only a good surgeon, but also a good facility with an experienced anesthesia team and dedicated nurse team. Finally, be sure that you can reach your physician or your surgeon after the surgery when you are in need.

MEDICAL INSTITUTIONS 75

A Brief Review on Breast Aesthetic Surgery

will become less visible over time, which is why the correct placement of the final scars and following the surgeon's advice for proper healing and subsequent scar treatment are important in order to achieve a good result.

In the case of loss of volume, some types of ptosis or asymmetries or mastectomy, the solution could be breast implants with or without a mastopexy or other technique depending on each case. It can be placed to restore a natural looking breast following a mastectomy, to correct congenital defects and deformities of the chest wall or, cosmetically, to enlarge the appearance of the breast through breast augmentation surgery. The safety of implants and choice of shape and volume have given a range of choices and predictability to patients for aesthetic and reconstructive reasons. Breast implants are basically a silicone shell filled with physiological serum (which has the advantage that if the capsule is broken, the serum is simply reabsorbed without consequences) or silicone gel (which offers a more natural consistency).

THE INTERVENTION IS GENERALLY PERFORMED UNDER GENERAL ANESTHESIA.

HOSPITAL ADMISSION USUALLY RANGES BETWEEN 24 AND 36 HOURS POST-OPERATION.

SOMETIMES, DRAIN TUBES ARE NEEDED USUALLY FOR 24 OR 48 HOURS AFTER THE PATIENT IS DISCHARGED; SHE USUALLY DOES SO WITH A MINIMAL DRESSING AND A SOFT BRA.

Every woman would like to have attractive breasts. Women who experience an alteration in the breast shape, size, or both at the same time or breast mutilation will suffer from complexes and psychological repercussions. It is a much sought-after aesthetic surgery, and the most frequent breastrelated problems that women suffer from when they go to a plastic surgeon's office are hypertrophy (excess volume), hypoplasia (lack of development), asymmetry, ptosis (descent and flaccidity) and postmastectomy amputation.

In the case of breast hypertrophy, surgery may be indicated for aesthetic reasons or also for orthopedic causes such as back pain or spinal deformities due to excess weight. An adequate and aesthetically desired shape can be achieved with breast reduction surgery. This type of intervention leaves residual scars that

Depending on the shape, they can be anatomical, which, as the name indicates, resembles the drop shape of a breast. Regarding the surface, they can be smooth, macrotextured, micro-textured or nano-textured, the latter are the most used due to the lower incidence of encapsulations.

They can be placed in different ways through the areola, the sub mammary fold, via the armpit or via the abdomen during a tummy tuck. They are positioned behind the mammary gland, behind the muscular fascia or behind the pectoral muscle depending of course on the characteristics of each patient. In all cases, it does not interfere with lactation or the sensations of the breast.

In all cases of breast surgery prior to the surgical intervention and with the patient sitting or standing, the surgery is designed and marked and the final desired size is discussed with the patient. There are no standard measurements. Usually, the woman asks the

INTERVIEW
ARTICLES
MAR.APR 2023 76
Dr. Moises Lopez Pozas, Specialist Plastic Surgeon at Marble Plus Medical Center

specialist for guidance, but she is the one who makes the final decision, regarding the size and shape. This does not mean that the surgeon should do exactly what is asked, if according to her criteria it does not make sense. We have to think that once the tissues have been incised, there is no turning back without leaving the mark of the scar. A surgeon can refuse to operate on a patient because she does not share his criteria, but if he agrees to operate, he has a moral and legal obligation to obtain the result requested by his patient.

The intervention is generally performed under general anesthesia. Hospital admission usually ranges between 24 and 36 hours postoperation. Sometimes, drain tubes are needed usually for 24 or 48 hours after the patient is discharged; she usually does so with a minimal dressing and a soft bra.

Regarding complications, this surgery presents the same health risks common to any surgery, such as adverse reaction to anesthesia, hematoma (post-operative bleeding),

seromas (fluid accumulation), opening wound or infection of incision site, others specific to breast augmentation include breast pain, altered sensation, visible wrinkling, asymmetry, thinning of the breast tissue, and symmastia, the “bread loafing” of the bust that interrupts the natural plane between the breasts also must be mentioned. The FDA has identified that breast implants may be associated with a rare form of cancer called anaplastic large-cell lymphoma which some experts believe is associated with chronic bacterial inflammation.

Breast implants are granted for life, however 20 or 30 % of patients need to change it after around 10 years in case of any complications. It can be checked with MRI or simple exam by the doctor.

A proportionately developed breast is an important feminine feature, a sign for fertility and sexuality; it is extremely important for women’s self-confidence so plastic surgery with breast surgery techniques is a tool to make your dreams come true.

ARTICLES
77

Laboratory Diagnostic Market

Healthy & technological investment worth billions of dollars

The laboratory diagnostic market is growing worldwide, especially in medically advanced countries, with an average growth rate of around 5%. The latest research in the Middle East and Africa reveals that the market was valued at $7.43 billion in 2022. It is expected to grow at a compound annual rate of 6.17% until 2027, reaching a total of over $10.03 billion. The increase in healthcare spending, adoption of the latest technological advancements, and government initiatives have led Saudi Arabia, Qatar, and the United Arab Emirates to become the main drivers of growth in this sector in the region."

To prepare a research report on the diagnostic products market, market analysts conduct a comprehensive study based on the precise reasons for changes in the market. In this regard, referring to a report on the laboratory diagnostic products market study is essential because it enables transparent decision-making to move forward in business, especially after the severe consequences of COVID-19. By identifying the future competitive environment for 2022-2028, major companies can take necessary actions and follow business ideas and strategies to make their businesses profitable.

Early disease diagnosis, governments' preference for using diagnostic devices in laboratories, and increased adoption of technological advancements in manufacturing advanced devices have led to growth in the Middle East, especially in Saudi Arabia, the United Arab Emirates, and Qatar. Every piece of information is provided in the laboratory diagnostic products market study report to help newcomers achieve business goals. It also allows for following the latest trends in technology and helps to understand customer buying behavior.

The United Kingdom

The value of the UK laboratory diagnostics market reached over $3 million in 2021 and is expected to reach around $5 million by 2027,

registering a compound annual growth rate of 7.81% during the forecast period. The emergence of the COVID-19 pandemic has led to the growth of this market, as it has increased public awareness and progress in the field. This has resulted in an increased demand for laboratory diagnostic products to diagnose, detect, and treat COVID-19, and laboratory diagnostic tests have been widely used even in patients without symptoms.

The launch of new and advanced products related to the discovery and diagnosis of COVID-19 by key market leaders and some new companies has contributed to market growth. The Parliament's launch of regulatory frameworks pertaining to mandatory testing has expanded growth opportunities in the laboratory diagnostics market in the country.

The main factors fueling market growth are:

• The increasing prevalence of chronic diseases.

• Leading to increased demand for early and effective diagnostic testing.

• Increased use of point-of-care (POC) diagnostics.

• Increased awareness and acceptance of personalized medicine and companion diagnostics.

According to experts, the increasing prevalence of chronic diseases is a significant factor driving the market growth. For example, according to a 2021 scientific report by the British Heart Foundation, there were 7.6 million people in the UK suffering from heart and circulatory diseases, of whom 4 million were male and 3.6 million were female. Additionally, the increasing number of elderly individuals in the country will positively impact the laboratory diagnostics market, as they are more prone to diseases and other medical conditions."

The United States

The major driving factors for market growth

MAR.APR 2023 78 ARTICLE FEATURES . Laboratory Diagnostic Market
Laboratory Diagnostic Market . ARTICLE FEATURES 79

in the United States are the high prevalence of chronic diseases, increased use of POC (pointof-care) diagnostics, advanced technologies, increased awareness, and acceptance of personalized medicines. Increasing government spending on healthcare and consumer healthcare spending also contribute to market growth. The increase in the lab diagnostics market in the United States is largely attributed to the prevalence of chronic diseases such as heart disease, cancer, asthma, diabetes, and COVID-19 in 2020. IVD devices have been shown to help manage these chronic conditions. They help detect early warning signs and individual risk factors, creating new opportunities for prevention and early medical intervention.

Emerging technological innovations such as lab-on-a-chip, wearable devices, and POC diagnostics have become an increasingly important part of the healthcare landscape. These POC diagnostic products have been developed for use at the patient bedside in hospitals to obtain immediate results without sending samples to the lab. As a result, due to ease of use and the ability to provide immediate results, the use of POC diagnostics in the United States is rapidly increasing, further boosting the market growth. The infectious diseases and oncology sectors also hold the largest market share due to the high prevalence of diseases such as pneumonia, tuberculosis, HIV/ AIDS, and various types of cancer. Therefore, as the cases of these diseases increase, this increase is expected to contribute to the growth of the lab diagnostics market in the country.

Europe

The European lab diagnostics market is expected to record a compound annual growth rate of 5.5% over the next few years. The key factors driving the market include:

• The rapid increase in chronic diseases.

• Increased demand for POC tests and personalized medicine.

• Technological advancements.

• An aging population.

Additionally, as in the UK, there is a trend toward reducing healthcare costs by shifting diagnostic testing from hospitals to outpatient settings, which is expected to drive market growth further.

The Middle East

The concept of dealing with medical laboratories is expanding more in the Arab world and the Middle East. This culture has recently made its way towards more understanding and application for at least two reasons: First, the governments of these countries, which are increasingly interested in the health of their citizens, are pushing towards testing because early detection of diseases makes treatment easier and because the cost of any treatment in the early stages of the disease is much lower than treating it in advanced stages. Secondly, citizens have become more interested in laboratories, even as a preventive measure, without suffering from any symptoms.

As for the growth of the laboratory market in the Middle East and Africa, a study conducted by Market Data Forecast showed that this market, which refers to tests conducted on samples such as blood or tissues taken from the human body, is expected to grow at a compound annual rate of 6.17% between 2022 and 2027. This is due to the increasing preference for early diagnosis of diseases by the public and governments that prefer to use them. This is further diversified through the increasing reliance on technology to develop advanced laboratory diagnostic devices that allow for rapid, accurate, and error-free diagnoses of diseases and other conditions, whether for treatment or prevention.

The absorption rate of these devices has increased due to the increase in point-of-care and molecular diagnostic tests during the COVID-19 pandemic. According to the data, it is likely that the increasing spread of chronic diseases, the rise in healthcare spending, the adoption of the latest technological developments, and the increase in government initiatives will make Saudi Arabia, the United Arab Emirates, and Qatar the main drivers of growth in the region.

The MEDLAB East Africa 2023 exhibition and conference highlighted the growth of the laboratory diagnostic market in the region, currently valued at $7 billion, which is expected to reach $10 billion by 2027. The MEDLAB East Africa exhibition also highlighted the latest developments and technologies in medical laboratory testing.

EARLY DISEASE DIAGNOSIS, GOVERNMENTS' PREFERENCE FOR USING DIAGNOSTIC DEVICES IN LABORATORIES, AND INCREASED ADOPTION OF TECHNOLOGICAL ADVANCEMENTS IN MANUFACTURING ADVANCED DEVICES HAVE LED TO GROWTH IN THE MIDDLE EAST, ESPECIALLY IN SAUDI ARABIA, THE UNITED ARAB EMIRATES, AND QATAR.

MAR.APR 2023 80
ARTICLE FEATURES . Laboratory Diagnostic Market
3rd Edition of the Saudi International Pharma and Medlab Expo يدﻮــﻌــﺴﻟا ضﺮــﻌــﻤﻟا ﺔـــﻟﺪـــﻴﺼــﻠﻟ ﻲـــﻟوﺪــــﻟا www.saudimedlabexpo.com www.saudipharmaexpo.com P.O Box 295771 | Riyadh 11351, Office # 7, 2nd Floor Next Al Moosa Center Main Olaya Street, Riyadh KSA T : +(966) 9 200 200 25 | F : +(966) 11 204 4454 Email : info@saudipharmaexpo.com | info@saudimedlabexpo.com (966) 55 135 6818 Organized by Riyadh International Convention & Exhibition Centre 9 - 11 Oct, 2023 Early Bird Registration REGISTER NOW Medlab Pharma

Target Controlled Anaesthesia: Where It’s Going and Why.

In the first article in this series1 we described the fundamental or ‘classic’ models that underpin Total Intravenous Anaesthesia (TIVA) and Target-Controlled Infusion (TCI) anaesthesia such as the Marsh and Schnider Model for Propofol, and the Minto Model for Remifentanil, and briefly introduced new developments. Like all things in medicine our techniques and the tools available to clinicians evolve, and there are also revolutions. In this second piece we will look at the new ‘universal’ Eleveld Model for Propofol and Remifentanil as well as new mod-

els for managing special-case patients and for Dexmetomidine, and developments in the delivery methods of TCI medications with allometric scaling, new methods for calculating Lean Body Mass (LBM), and human-factor safety builds.

As a very brief recap, TCI refers to maintaining the desired plasma or effect site concentration of a drug using an infusion pump managed by a microprocessor, and pharmacokinetic (PK) and pharmacodynamic (PD) models. This means that instead of setting a dose-rate on the pump,

A TCI PUMP AUTOMATICALLY CALCULATES HOW MUCH DRUG IS NEEDED DURING INDUCTION AND MAINTENANCE TO MAINTAIN THE DESIRED EFFECTSITE OR PLASMA CONCENTRATION.

MAR.APR 2023 82
Natalie Samuda. RM, BSc. Becton Dickinson. Senior Clinical Resource Consultant. Medication Management Solutions. MENAT. James Waterson. RN, M.Med.Ed. MHE. Becton Dickinson. Medical Affairs Manager, Middle East & Africa. Samuel Garcia. RN, BHSc. Becton Dickinson. Medical Affairs Director, Europe, Middle East and Africa. Tina Worth. HV, RGN, LLM, MBA. Becton Dickinson. Medical Affairs Manager, Europe, Middle East and Africa.
ARTICLES
The Eleveld TCI Models for Remifentanil and Propofol are near universal models and reduce the need to find and switch between multiple models for different patients. This reduces complexity and can potentially improve efficiency and safety in the operating room.

the pump is programmed to target a required plasma concentration or effect-site concentration. A TCI pump automatically calculates how much drug is needed during induction and maintenance to maintain the desired effect-site or plasma concentration.

A TCI algorithm (the ‘target’ and plan on which the pump relies to deliver appropriate induction and maintenance rates to maintain anaesthesia without overdosing the patient) is based on four processes that occur following injection of any intravenous drug into the body: Absorption, Distribution, Metabolism, Excretion.

The above are commonly, but not always, affected by weight, and renal and hepatic health. The ‘classic’ models: Marsh for Propofol and Minto for Remifentanil are PK models based on body compartments. ‘Compartments’ relates to theoretical body ‘spaces’ in which a drug is distributed following injection. Conventionally the body compartment that the drug is injected into is V1 (plasma/blood), the next compartment is the ‘vessel-rich’ or ‘fast re-distribution’ compartment and is characterized as V2 (heart, liver etc.). The final compartment, which is anatomically ‘vessel-poor’ and ‘slow’ in terms of re-distribution, is V3 (fatty tissue).

Once a steady state of drug distribution has occurred V1+V2+V3=Vdss where Vdss is the steady-state volume of distribution of the drug.

Of course, drug distribution and the metabolism/elimination of each drug in each compartment also need to be modelled. By convention the rate of elimination of a drug is K10, whilst the movement/distribution between compartments is denoted by K12 (V1 to V2), K21 (V2 to V1), K13 (V1 to V3) and K31 (V3 to V1). If one wants to describe the hysteresis between the time course of plasma concentration and clinical effect, the pharmacokinetic model must be enlarged with a pharmacodynamic part. The link between the plasma and the effect-site is done by using the time constant ke0.

Computer simulations and mathematical modelling of infusion schemes based on the above theories of compartments and clearances give us our models for both Target Plasma Concentration (Cpt) and Target Effect Concentration

(Cet) and these can be incorporated into specialist computerised infusion pumps.

TCI pumps deliver the infusion at a constantly altering rate (they alter the rate slightly every few seconds). But it can be useful to think of this one infusion as being a mean-average comprised of three continually calculated infusion rates: a constant rate to replace drug elimination and two exponentially decreasing infusions to match drug removed from central compartment to other peripheral compartments of distribution.

Bariatric, obese, and patients outside a fairly uniform weight-range, as well as pediatric and neonatal patients have previously presented a problem for ‘classic’ TCI models. For example, the Marsh model can significantly overdose obese patients as it does not account for the size of the V3 (fatty tissue) compartment, and the physiological differences between paediatrics and adults has previously required separate models for children with a far higher induction and maintenance doses per kg body weight.

The Eleveld model is, in simple terms, a mathematical synthesis of existing TCI models for both Propofol and Remifentanil. One immediate advantage of using this one model for the two most commonly used medications for TCI, Propofol and Remifentanil is that the model can automatically allow for the potentiating effect of the analgesic infusion on the hypnotic and correct infusion rates to target the assigned Cet accordingly. It is close to being a universal model for patients of all ages and weights as it was developed as a PK-PD model for a broad population range, and to cover the anaesthesia needs of most populations.2

However, the Kim-Obara-Egan Remifentanil model captures the widest patient population and can potentially allow Remifentanil TCI in age ranges from 6 months old to 99 years of age, and from 2.5 to 215 kg.3

A very useful feature of a TCI PK Pump when anaesthetists are beginning to work with new models such as the Eleveld model is the ability to automatically pause the pump after induction to allow for assessment of the patient. Assessments such as questioning a patient after beginning Remifentanil, ‘do you feel dizzy?’ at

A TCI ALGORITHM (THE ‘TARGET’ AND PLAN ON WHICH THE PUMP RELIES TO DELIVER APPROPRIATE INDUCTION AND MAINTENANCE RATES TO MAINTAIN ANAESTHESIA WITHOUT OVERDOSING THE PATIENT) IS BASED ON FOUR PROCESSES THAT OCCUR FOLLOWING INJECTION OF ANY INTRAVENOUS DRUG INTO THE BODY: ABSORPTION, DISTRIBUTION, METABOLISM, EXCRETION.

ARTICLES 83

Anaesthetist familiarity with models such as Schnider or Minto can help with transitioning to the new Eleveld models for Propofol and Remifentanil as studies indicate a great deal of equivalence in patient responses between ‘new’ and ‘classic’ models.

a common Minto model Cet target of 1.5-3 ng/ ml can help establish if the patient has a normal sensitivity to the opiate and may help guide the target to be set for induction and maintenance.

In fact, in recent studies, the Eleveld model has been shown to operate in a very similar manner to the Schnider model4 with depth of anaesthesia measured via Bispectral Index (BI) matching those expected in patients anaesthetised using Schnider, but in the case of the new studies, in patients outside of the usual range of the Schnider model.4

One of the Eleveld model’s particular strengths is that older TCI models were developed using data from very narrow populations in terms of age and weight. But patients who received Propofol TCI with the Eleveld model, titrated to a BI of 40 to 60 (See Table One) from a diverse patient population showed a level of precision for the model of less than 30% divergence from expected BI to Cet in children, adults,

and in obese adults. The level of precision was close to 10 BIS units in all the patient groups. This is strong evidence for the Eleveld Propofol Model being applicable as a near-universal TCI model.

General

Light

The Eleveld also showed better prediction of actual measured Propofol plasma concentration in a general population of fifty patients undergoing surgery than either the Marsh or Schnider models in one recent study.5 (See

A VERY USEFUL FEATURE OF A TCI PK PUMP WHEN ANAESTHETISTS ARE BEGINNING TO WORK WITH NEW MODELS SUCH AS THE ELEVELD MODEL IS THE ABILITY TO AUTOMATICALLY PAUSE THE PUMP AFTER INDUCTION TO ALLOW FOR ASSESSMENT OF THE PATIENT.

Table 1: Bispectral Index Scores versus clinical state.
0 20 40 60 80 100 BIS Score. Clinical State. Flat Line EEG Burst Suppression
Hypnotic Sleep
Deep
Anaesthesia
Moderate Sedation Awake MAR.APR 2023 84 ARTICLES

Figure One). The authors suggested that this may be due to the simple fact that the Eveveld model’s creation incorporated more than 15,000 Propofol concentrations from more than 1,000 patients and 30 studies, making the results both robust and generalisable, and because the model includes covariates such as age, weight, height, and sex to predict arterial Propofol concentrations.5

The development of the Hanivoort and Colin6 TCI model for Dexmetomidine has interesting potential for those patients who undergo anaesthesia and are then transferred to the Intensive Care Unit, still intubated, for the recovery period, and for other specialist applications. The medication has long been recognised as a useful treatment where weaning from sedation and mechanical ventilation are anticipated to be difficult, as it is argued that the sedation induced by dexmedetomidine is more akin to natural sleep than that given by other sedative agents, and that it causes less respiratory depression than other agents. The medication also produces spinal and supraspinal analgesia, which aids readiness for extubation due to an opioid-sparing effect. The use of Dexmedetomidine has been associated with a reduced time to extubation compared with midazolam. In one study7 the median time to extubation was 1.9 days less in Dexmedetomidine-treated patients compared with those who received Midazolam (3.7 days [95% confidence interval [CI], 3.1 to 4.0] vs 5.6 days [95% CI, 4.6 to 5.9]; P = 0.01).

A separate meta-analysis8 showed further evidence of economic and clinical benefits of a dexmedetomidine-based sedative regimen. This analysis indicated that dexmedetomidine was associated with a reduction in both length of critical care stay -0.79 days [-1.17 to -0.4], P < .001) and time to extubation (-2.74 hours [-3.8 to-1.65], P < .001; 21.65 vs 23.8 hours, P=.005).

Neurological monitoring for the depth of anaesthesia when using TCI Dexmetomidine should be undertaken using the Modified Observer’s Assessment of Alertness (MOAA) rather than BI as the action of the medication on consciousness is markedly different to other sedatives and hypnotics.

Figure 1: Individual ratios of plasma measured vs. model calculated Propofol plasma concentrations over the time of operation. A. Eleveld. B. Marsh. C. Schnider. The dashed line indicates a ratio of 1.0 where the models’ measurements were equal to the calculated plasma concentration.5

Table 2: The Modified Observer’s Assessment of Alertness/ Sedation Scale (MOAA/S).

TCI PUMPS DELIVER THE INFUSION AT A CONSTANTLY ALTERING RATE (THEY ALTER THE RATE SLIGHTLY EVERY FEW SECONDS). BUT IT CAN BE USEFUL TO THINK OF THIS ONE INFUSION AS BEING A MEAN-AVERAGE COMPRISED OF THREE CONTINUALLY CALCULATED INFUSION RATES: A CONSTANT RATE TO REPLACE DRUG ELIMINATION AND TWO EXPONENTIALLY DECREASING INFUSIONS TO MATCH DRUG REMOVED FROM CENTRAL COMPARTMENT TO OTHER PERIPHERAL COMPARTMENTS OF DISTRIBUTION.

ARTICLES 85

Responsiveness Responsiveness

Agitated

Responds readily to name spoken in normal tone. (‘Alert’)

Lethargic response to name spoken in normal tone

Responds only after name is called loudly and/or repeatedly

Responds only after mild prodding or shaking

Does not respond to mild prodding or shaking

Does not respond to deep stimulus

available in new generation PK TCI pumps. We discussed in our earlier article how an ideal TCI infusion system or pump should have a large, clear display carrying critical information such as decrement time, current Cet or Cpt and respective targets, current dose rate and concentration and type of agent being infused on one screen that is easy to navigate during the many critical phases of anaesthesia. Equally important is to remember the human factors involved in high-pressure situations. Allometric scaling, where the height, age and weight of children undergoing anaesthesia are automatically correlated against ‘norms’ derived from World Health Organization growth charts9 can help prevent inadvertent and potentially dangerous clinician input on weight and height: from which the target dose will ultimately be derived.

New Dexmetomidine TCI Models are available to the anaesthetist, monitoring for the depth of sedation is undertaken by MOAA rather than by BI.

TCI is, of course, much more than abstract modelling. New developments to assist the anaesthetist in maintaining safety whilst maintaining efficiency in the operating room are also

‘Performance level slips’ are a well verified issue in critical care10 and the safety gate of guiding and informing program steps with visual indicators as in a classical Failure Mode and Effect Analysis (FMEA) process has been recognised as a useful preventive tool for medication set-up errors.11 An example in TCI and PK pumps of this human factor guidance is the presentation of Propofol as the infusion agent as black lettering on a white background on the pump’s display - the opposite of the presentation of Remifentanil on the pump and ‘matching’ the physical appearance of the medication itself.

TCI is a ‘mature’ therapy. The new models: Eleveld, and Kim-Obara have substantially added

Anaesthesia is a high pressure, high turnover activity with a substantial potential for risk. Human factor support from the TCI pump such as presenting Propofol on a white background to differentiate it from the Remifentanil infusing pump, and confirmatory programming steps with advisory screens11 may help reduce the risk of inadvertent misloading of medications.

TCI IS A ‘MATURE’ THERAPY. THE NEW MODELS: ELEVELD, AND KIM-OBARA HAVE SUBSTANTIALLY ADDED TO THE USEABILITY TCI MODELS FOR DIVERSE PATIENT GROUPS, AND NEW METHODS OF USAGE FOR AN ESTABLISHED MEDICATION HAS BEEN ESTABLISHED BY THE HANIVOORTCOLIN MODEL.

6 5 4 3 2 1 0
MAR.APR 2023 86 ARTICLES

to the useability TCI models for diverse patient groups, and new methods of usage for an established medication has been established by the Hanivoort-Colin model.

There are, of course, target controlled models for other groups of medications such as antibiotics and muscle-relaxants which can potentially add much to precision medicine and evidence-based medicine, but another aspect of intravenous anaesthesia is of growing importance: the environmental impact of healthcare related Greenhouse Gases (GHG). A 2021 paper12 concluded that in our current climate crisis sustainable healthcare initiatives need to look at the impact of inhaled anaesthetics both on the wider environment and on the direct occupational environment of Health Care Workers (HCP). This was essentially a call to action to judiciously consider in each treatment how, when, and why volatile agents such as nitrous oxide (N2O) and desflurane are unavoidable, and whether total intravenous or local-regional anaesthesia could be efficacious substitutes, and to invest in the development of new technologies. Evidence-based medicine can be briefly defined as ‘doing the right thing in the right way’, modelling anaesthesia from evidence, and aspiring to reduce healthcare’s environmental impact must logically be a part of that paradigm.

References:

1. Waterson J, Samuda N. TCI Anaesthesia: New and More Universal Models. Arab Hospitals Magazine. January 2022. https://hospitalsmagazine.com/medtech/tci-anaesthesia-new-and-more-universal-models/

2. D.J. Eleveld, P. Colin, A.R. Absalom, M.M.R.F. Struys. Pharmacokinetic–pharmacodynamic model for propofol for broad application in anaesthesia and sedation. British Journal of Anaesthesia, Volume 120, Issue 5, 2018, Pages 942-959, ISSN 0007-0912, https://doi.org/10.1016/j.bja.2018.01.018

3. T.K. Kim, S. Obara, T.D. Egan. Disposition of Remifentanil in Obesity A New Pharmacokinetic Model Incorporating the Influence of Body Mass. Anaesthesiology, Vol. 126, Issue 6, 2017, Pages 1019-1032 https://doi. org/10.1097/ALN.0000000000001635

4. Vellinga R, Hannivoort LN, Introna M, Touw DJ, Absalom AR, Eleveld DJ, Struys MMRF. Prospective clinical validation of the Eleveld propofol pharmacokinetic-pharmacodynamic model in general anaesthesia. Br J Anaesth. 2021 Feb;126(2):386-394. doi: 10.1016/j.bja.2020.10.027. Epub 2020 Dec 13. PMID: 33317804.

5. Hüppe T, Maurer F, Sessler DI, Volk T, Kreuer S. Retrospective comparison of Eleveld, Marsh, and Schnider propofol pharmacokinetic models in 50 patients. Br J Anaesth. 2020 Feb;124(2):e22-e24. doi: 10.1016/j. bja.2019.10.019. Epub 2019 Dec 2. PMID: 31806207.

6. Colin PJ, Hannivoort LN, Eleveld DJ, Reyntjens KMEM, Absalom AR, Vereecke HEM, Struys MMRF. Dexmedetomidine pharmacokinetic-pharmacodynamic modelling in healthy volunteers: 1. Influence of arousal on bispectral index and sedation. Br J Anaesth. 2017 Aug 1;119(2):200-210. doi: 10.1093/bja/aex085. PMID: 28854538.

7. Riker RR, Shehabi Y, Bokesch PM, et al. Dexmedetomidine vs midazolam for sedation of critically ill patients: a randomized trial. JAMA. 2009;301(5):489-499.

8. Pasin L, Greco T, Feltracco P, et al. Dexmedetomidine as a sedative agent in critically ill patients: a meta-analysis of randomized controlled trials. PLoS One. 2013;8(12):e82913. https://doi.org/10.1371/journal. pone.0082913

9. https://www.who.int/tools/child-growth-standards/standards/weightfor-length-height

10. Rothschild JM, Landrigan CP, Cronin JW, Kaushal R, Lockley SW, Burdick, et al. The Critical Care Safety Study: The incidence and nature of adverse events and serious medical errors in intensive care. Crit Care Med 2005 Aug;33(8):1694-1700. [CrossRef] [Medline]

11. Waterson J, Al-Jaber R, Kassab T, Al-Jazairi AS. Twelve-Month Review of Infusion Pump Near-Miss Medication and Dose Selection Errors and User-Initiated "Good Save" Corrections: Retrospective Study. JMIR Hum Factors. 2020 Aug 11;7(3):e20364. doi: 10.2196/20364. PMID: 32667895; PMCID: PMC7448173.

12. Gaya da Costa M, Kalmar AF, Struys MMRF. Inhaled Anaesthetics: Environmental Role, Occupational Risk, and Clinical Use. J Clin Med. 2021 Mar 22;10(6):1306. doi: 10.3390/jcm10061306. PMID: 33810063; PMCID: PMC8004846.

ONE OF THE ELEVELD MODEL’S PARTICULAR STRENGTHS IS THAT OLDER TCI MODELS WERE DEVELOPED USING DATA FROM VERY NARROW POPULATIONS IN TERMS OF AGE AND WEIGHT.

Healthcare has a large greenhouse gas impact on the environment. Reducing the use of volatile anaesthetic gases through TCI and TIVA can be viewed as being part of the essential goal of evidence-based medicine; ‘doing the right thing in the right way’.

ARTICLES 87

Accreditation Certificates for Hospitals

Main Methodology for Ensuring Quality Healthcare Services

Hospital accreditation certificates contribute to enhancing patient care by improving continuous quality. Quality is one of the essential components of healthcare services.

The international accreditation certificate is an official document issued by a reputable independent global entity that acknowledges that the hospital has met the conditions and

standards that qualify it to provide healthcare services to patients, following a review of the medical facility's processes and facilities and ensuring that they apply their functions under international standards.

These certificates help hospitals and healthcare institutions improve their performance and focus on the quality of the services provided to patients, allowing them to obtain public recognition for achieving accreditation standards. How-

MAR.APR 2023 88 ARTICLE FEATURES . Accreditation Certificates for Hospitals
QUALITY IS ONE OF THE ESSENTIAL COMPONENTS OF HEALTHCARE SERVICES.

ever, this is done after an independent external review of performance levels and standards within their facilities.

Obtaining one of the accreditation certificates recognized worldwide means the hospital has surpassed strict, challenging, yet not impossible standards. This accreditation is similar to a self-assessment process and an assessment by external entities to accurately determine its performance level regarding the recognized standards and implement continuous improvement methods that meet patient expectations because they deserve to receive the best medical services."

The Importance of Quality in Hospitals

Quality is one of the essential components of healthcare services. Through the hospitals' efforts to apply global standards, continuous focus on quality and patient safety has become a primary methodology all countries worldwide adopt to ensure the quality of healthcare services provided to patients and guarantee their safety. The importance of accreditation and quality systems in the healthcare field is of utmost importance and specificity since it deals with the human element, which is the patient primarily, as well as the human staff of doctors, nurses, and other healthcare providers, implementing quality systems closely linked to human performance.

Applying international quality standards in healthcare institutions has the most significant impact on improving patient culture and safety and continuous improvement in medical services provided within these institutions. Thus, everyone works to achieve more success and introduce more developments to improve final performance results, all of which help reduce infection rates in hospitals and the percentage of complications and medical errors that occur in most healthcare institutions worldwide.

Quality also depends on a comprehensive evaluation of the quality level through the scientific standards set for each level of healthcare, designed based on the best available practices in distinguished healthcare institutions world-

wide, as determined by experts, professional associations, and the results of scientific research.

These standards and measures were developed by international organizations and have become a gauge for the efficiency of health units to achieve the level of treatment and service in hospitals at the local and global levels

International accreditation enhances the hospital's reputation, encourages patients to visit, and helps attract the best human resources to work within its walls. Accreditation certificates also help any hospital or medical facility raise the level of clinical and surgical procedures and polish the efficiency of employees by developing their knowledge related to fundamental practices.

They also contribute to raising the level of knowledge and discussing the best practices with medical institutions worldwide. They also provide medical organizations with essential efficiency in selecting procedures based on the best patient care and providing them with the best services. One of the most significant benefits of hospital accreditation is improving healthcare systems and using the accreditation process to change practice and improve patient care quality.

The benefits and advantages that these organizations can achieve by applying quality standards include performing operations at all levels according to advanced and documented work methods and instructions, continuously monitoring safety and security measures and prevention requirements in the facilities and facilities of the institution, with emphasis on sensitive areas such as operating rooms and wound changing.

Quality certificates also aim to ensure continuous performance improvement by updating means, devices, and information and the constant development of all departments according to the latest scientific, medical, and technological developments that help the organization provide advanced services.

Furthermore, they ensure that the organization performs preventive and corrective maintenance of quality systems and equipment, devices, and public facilities within it.

THE IMPORTANCE OF ACCREDITATION AND QUALITY SYSTEMS IN THE HEALTHCARE FIELD IS OF UTMOST IMPORTANCE AND SPECIFICITY SINCE IT DEALS WITH THE HUMAN ELEMENT, WHICH IS THE PATIENT PRIMARILY, AS WELL AS THE HUMAN STAFF OF DOCTORS, NURSES, AND OTHER HEALTHCARE PROVIDERS, IMPLEMENTING QUALITY SYSTEMS CLOSELY LINKED TO HUMAN PERFORMANCE.

Accreditation Certificates for Hospitals . ARTICLE FEATURES
89

EHS and Oracle Cerner supporting children with autism

Early childhood diseases can be very frightening for parents and caregivers. Many of these conditions stay with the child indefinitely, if not permanently. The child and the family can face challenges in dealing with the situation and navigating the course of therapy. When detected early, the management plan can be initiated earlier, improving the disease outcome substantially in many cases. The picture is more complex when the disorder has behavioural health origins – detecting the disease can be challenging, and the families might underestimate the need for assessment. In many cases, these disorders might not be evident on the surface, and only careful assessments might expose any abnormality.

Autism spectrum disorder (ASD) is a complex, lifelong developmental condition that typically appears during early childhood and impacts social, communication, and

self-regulation skills. It can affect the social functioning of the individual to varying extents. With early detection, patients can be supported through structured interventions. It is seen that early detection and management may have a long-lasting impact on a child’s overall wellbeing.

According to research, one in every 146 children has ASD in the UAE.1 This could be the tip of the iceberg though, as many children might be left undiagnosed due to the complex dynamics of family realisation and seeking appropriate assessments, especially with low parental awareness.

The past decades have seen a drastic spike in the use of technology across all leading sectors, including healthcare. The electronic health record (EHR) has evolved to be a pivotal platform that integrates all entities engaged in providing healthcare. When designed innovatively, it can facilitate care providers in

AUTISM SPECTRUM DISORDER (ASD) IS A COMPLEX, LIFELONG DEVELOPMENTAL CONDITION THAT TYPICALLY APPEARS DURING EARLY CHILDHOOD AND IMPACTS SOCIAL, COMMUNICATION, AND SELFREGULATION SKILLS. IT CAN AFFECT THE SOCIAL FUNCTIONING OF THE INDIVIDUAL TO VARYING EXTENTS. WITH EARLY DETECTION, PATIENTS CAN BE SUPPORTED THROUGH STRUCTURED INTERVENTIONS. IT IS SEEN THAT EARLY DETECTION AND MANAGEMENT MAY HAVE A LONGLASTING IMPACT ON A CHILD’S OVERALL WELLBEING.

90
ARTICLES
Dr. Aisha Mohammed Suhail Al Seraidi, Director of Primary Health Care, Clinical Services Sector, Emirates Health Services
MAR.APR 2023
Dr. Yasir Khan, Lead Physician Executive, Oracle Cerner

achieving their organization’s goals efficiently. Emirates Health Services (EHS) is at the forefront of delivering patient-centric, highquality care to its population using its digital platforms innovatively and cohesively.

Wareed, their Oracle Cerner EHR, is the central platform for implementing integrated clinical programs to meet their vision of providing world-class care. It is a digital platform supporting all healthcare provision at EHS, capturing all relevant data that can then be conveniently extracted. EHS leaders and decision-makers use this data to inform policies and future courses of action.

EHS has a specialized well-child program that is designed to meet the needs of children under six who are seeking care. This program, which is focused on promoting the wellbeing of young children, is a digital care pathway that is integrated into Wareed.

It provides tools and resources to help clinicians screen children visiting well-child clinics at primary healthcare centres at appropriate age intervals, and to identify and manage various childhood conditions. The goal of this program is to ensure that children receive the care and support they need to stay healthy, and as a result, many childhood conditions can be detected and effectively managed through this service.

Gauging the situation and following best practice guidelines, EHS has included autism screening tools in Wareed as one of the mandatory screening assessments for their pediatric population.

This age-specific screening must be offered to all children visiting EHS facilities at their 18- and 24-month well-child visits. Clinicians should use these tools based on the child’s eligibility as outlined by EHS policy criteria. The insights derived from the well-child program led to realization that there is an opportunity to improve autism screening practices across multiple care venues.

EHS also implemented a smart digital care model as part of their Wareed platform. This model utilizes a ‘detect and suggest’ methodology to identify children who have missed important screenings and provide

recommendations for appropriate actions and interventions to address any care gaps. The eligibility of patients is determined using a sophisticated algorithm and this information is provided to caregivers at the point of care. The workflow for completing the screening process has been specifically designed to make it easier to use internationally accredited tools such as M-CHAT, and includes smart rules to ensure that recommended steps are not skipped. In order to facilitate effective change management, unobtrusive reminders have been incorporated into each step of the process.

This information is translated into a score by the system and stratified into a risk level for autism. Physicians have an assessment tool for further assessing children at medium risk (M-CHAT-R).

On opening the record of a child’s who has a medium risk of autism, the system nudges physicians to conduct further screening. According to EHS guidelines, all children at a high risk of autism must be referred to the behavioural health facility for diagnosis and management. When a high-risk child visits the physician, they receive an alert for referring this patient to specialised care.

Implementing these rules through the EHR has shown promising results in improving the autism screening practice at EHS’s primary healthcare centers. The screening practice has reached almost 100% compliance in just two months, a marked improvement from the baseline.

EHS implemented this project as an innovative initiative that would contribute towards the wellbeing of UAE’s pediatric population. It is an excellent example of informatics-driven performance improvement and is highly encouraging to use a similar approach in all applicable scenarios.

Reference:

1-Virolainen, S., Hussien, W., & Dalibalta, S. (2020). Autism spectrum disorder in the United Arab Emirates: potential environmental links. Reviews on environmental health, 35(4), 359–369. https://doi. org/10.1515/reveh-2020-0025

EHS HAS A SPECIALIZED WELLCHILD PROGRAM THAT IS DESIGNED TO MEET THE NEEDS OF CHILDREN UNDER SIX WHO ARE SEEKING CARE. THIS PROGRAM, WHICH IS FOCUSED ON PROMOTING THE WELLBEING OF YOUNG CHILDREN, IS A DIGITAL CARE PATHWAY THAT IS INTEGRATED INTO WAREED. IT PROVIDES TOOLS AND RESOURCES TO HELP CLINICIANS SCREEN CHILDREN VISITING WELL-CHILD CLINICS AT PRIMARY HEALTHCARE CENTRES AT APPROPRIATE AGE INTERVALS, AND TO IDENTIFY AND MANAGE VARIOUS CHILDHOOD CONDITIONS.

91 ARTICLES
MAR.APR 2023 92
ARTICLE FEATURES . Lupus and Pregnancy

Can pregnancy occur if diagnosed with lupus?

Lupus is a chronic autoimmune disease when the immune system attacks the body's cells and tissues, leading to inflammation in various body organs such as the skin, joints, lungs, kidneys, and others. The appearance of a red facial rash in the shape of a butterfly characterizes lupus.

Lupus is one of the chronic autoimmune diseases affecting various body organs, including the skin and joints, and is the most prominent example of an autoimmune disease. Although it often begins on the skin, its health effects can affect several organs in the body, including the joints, kidneys, lungs, and possibly the nervous system and brain in advanced cases.

This disease is more common in women of childbearing age, and one man may develop lupus among ten women. The cause of lupus is unknown, but scientists believe that genetic and environmental factors may be related.

Exposure to sunlight can cause a sudden development of skin rash and other symptoms. In other cases, a cold or infection can be more dangerous, and the patient's condition worsens, leading to complications. These complications may be the first signs of the disease.

In some women, the first symptoms and signs of the disease develop during pregnancy. In other cases, they appear shortly after childbirth.

In most patients, the disease appears as a skin eruption where the patient experiences redness on the face, often in the shape of a butterfly, which worsens particularly when exposed to sunlight. This stimulates cells in the body to secrete a particular substance that activates the development of lupus. Large red spots on the skin, joint pain and stiffness, and mouth or nose ulcers that last for days may also appear.

Symptoms of this disease may appear and disappear suddenly or slowly and can be mild or severe. Most people with it experience attacks, and symptoms and signs may worsen for a period, then improve or disappear altogether. The signs and symptoms also depend on the affected body systems. This disease often affects women between 15 and 45 years, although children, men, and the elderly are also at risk of developing it.

Some of the symptoms of this disease include:

• Facial rash that may spread to other parts of the body.

• General fatigue and tiredness.

• Fever.

• Skin lesions that worsen with sun exposure.

• Dry eyes.

• Headaches.

• Memory problems.

• Confusion and disorientation.

• Chest pain.

• Shortness of breath.

Complications

Over time, lupus can lead to kidney problems, where proteins or red blood cells are deposited in the urine, resulting in kidney failure. In addition, inflammation of the lung membrane can cause shortness of breath, heart muscle or arteries, or inflammation of the heart membrane. In advanced cases, the brain and central nervous system can be affected, causing headaches and changes in behavior, which can lead to strokes or seizures. Many people with lupus have memory problems and may struggle to express their thoughts. Lupus can also cause blood problems, including anemia and an increased risk of bleeding or blood clots. In addition, women with lupus have an increased risk of spontaneous abortion. Early diagnosis and treatment are necessary to prevent complications associated with the disease. Not all people with lupus have the same symptoms. Therefore, everyone should develop a specific plan with their specialist doctor. Effective treatment can reduce symptoms, limit inflammation, and maintain normal body functions for most lupus patients.

Pregnancy and lupus

Lupus does not reduce a woman's chances of becoming pregnant, but all cases of pregnancy with lupus are high-risk. Therefore, if the instructions, advice, and careful monitoring are not followed, the pregnant woman is more susceptible to severe complications that affect

THIS DISEASE IS MORE COMMON IN WOMEN OF CHILDBEARING AGE, AND ONE MAN MAY DEVELOP LUPUS AMONG TEN WOMEN. THE CAUSE OF LUPUS IS UNKNOWN, BUT SCIENTISTS BELIEVE THAT GENETIC AND ENVIRONMENTAL FACTORS MAY BE RELATED.

Lupus and Pregnancy . ARTICLE FEATURES
93

the reproductive process in one way or another, and also affect the fetus. The disease should be in remission for at least six months before pregnancy, which requires prior planning so that the pregnancy period is safer for both the mother and the fetus.

Therefore, before considering pregnancy, it is necessary to consult a rheumatologist who specializes in treating lupus. It is essential to plan for pregnancy during the disease's remission period rather than during its active period, where the risk of complications increases. It is also necessary to consult a gynecologist and a pediatric cardiologist to discuss the required procedures before pregnancy and to conduct clinical tests, analyses, and radiographs.

However, pregnant women wonder about the possibility of taking medication during pregnancy, which the doctor determines after assessing the risks according to the case and being informed of all the medicines taken. If the patient takes Hydroxychloroquine, it is strongly recommended to continue it during pregnancy. If not, the doctor advises starting it if there are no clear contraindications to control the disease's activity. The doctor may prescribe low-dose aspirin from the first three months and adjust lupus treatment drugs to be compatible with pregnancy.

The pregnant woman must make frequent visits to monitor the pregnancy and fetal growth, especially as about 25% of lupus patients are at risk of premature delivery and exposure to pregnancy toxemia, which requires urgent intervention. The pregnant woman should get plenty of rest during the pregnancy months, with a focus on not gaining weight and eating a healthy, balanced diet.

Treatment

Despite the lack of a definitive cure for this disease, early detection and providing appropriate treatment can help control the disease and limit its damage. Due to the variation in symptoms among patients, the best treatment approach is to develop a specific treatment plan for each patient according to their medical condition. Knowing the patient and how to live with the disease and reduce its effects is the best way to control it. This can be achieved by following a healthy lifestyle, such as eating a healthy diet,

avoiding psychological stress, protecting the body from the sun's rays, and quitting smoking.

Today, a wide range of modern treatments are available, and there has been significant progress in this field. Recently, the FDA approved new protein pills that help patients with lupus who have problems with their skin or joints. The advantage of this medication is that it is oral and not serum-based but highly effective.

One of the modern treatments that have contributed to changing the course of treatment for lupus patients is protein drugs that do not lower the body's immunity, as do other lupus treatments. This is a treatment that gives hope to patients to live normal life.

When it comes to approved treatments, the first thing that rheumatologists turn to after an accurate diagnosis is a traditional treatment for lupus, Hydroxychloroquine. It is the first medication that is started to protect the kidneys and the immune system. Depending on the severity of the disease and its impact on the body, the patient is given cortisone medication.

Additionally, based on the severity of the condition, the doctor determines medications that lower the body's immunity and improve the disease. These medications range from simple pills taken daily to those taken through sweat. It is worth noting that these immune medications do not significantly decrease the body's immunity but only improve the disease state, and the patient is not susceptible to viral infections.

TODAY, A WIDE RANGE OF MODERN TREATMENTS ARE AVAILABLE, AND THERE HAS BEEN SIGNIFICANT PROGRESS IN THIS FIELD. RECENTLY, THE FDA APPROVED NEW PROTEIN PILLS THAT HELP PATIENTS WITH LUPUS WHO HAVE PROBLEMS WITH THEIR SKIN OR JOINTS. THE ADVANTAGE OF THIS MEDICATION IS THAT IT IS ORAL AND NOT SERUM-BASED BUT HIGHLY EFFECTIVE.

MAR.APR 2023 94
ARTICLE FEATURES . Lupus and Pregnancy

DoH in collaboration with ADDED launches flexible health insurance option for entrepreneurs and investors in the Emirate

The Department of Health – Abu Dhabi (DoH), the regulator of the healthcare sector in the Emirate, in cooperation with Abu Dhabi Department of Economic Development (ADDED), has introduced flexible health insurance option in Abu Dhabi. The newly launched option seeks to elevate the Emirate’s position as an attractive destination for entrepreneurs and investors that seek to live and work in the Emirate as well as broaden access to world-class healthcare services for all community members in accordance with the highest standards of quality and efficiency. In response to the rising needs of the market, the 'flexible health insurance' policy targets current and future entrepreneurs and investors, while attracting more investments in the Emirate of Abu Dhabi.

The new 'flexible health insurance' policy provides entrepreneurs, investors, and others with an insurance option at a low and competitive cost while flexible insurance holders can upgrade their insurance coverage in agreement with the insurance provider. Several categories can subscribe to the new insurance option according to conditions set by the Department of Health.

As part of the new insurance option, health insurance providers will evaluate the condition and medical record of the insured to determine whether they will accept the request for inclusion in the 'flexible health insurance’ policy. The flexible health insurance policy benefits the following categories which include expatriates residing in the emirate who work in the private

MAR.APR 2023 NEWS 96
THE FLEXIBLE HEALTH INSURANCE OPTION SEEKS TO ATTRACT INTERNATIONAL TALENT, INVESTMENT & START-UPS.

sector, provided that their monthly income exceeds 5,000 dirhams. In addition to desiring investors and holders of free business licenses, their families and their employees as well as the family of the resident expatriate and his workers who are not covered by health insurance from the employer (governmental or private).

The 'flexible health insurance' policy is added to the health insurance options currently available in the Emirate, including the enhanced health insurance and basic health insurance. The 'flexible health insurance' policy is characterised by insurance coverage for the costs of treatment services amounting to AED 150,000 annually, 100% emergency coverage, 20% copay of the cost of all outpatient treatment services and 30% copay for medications. Policy holders can benefit from healthcare services in a network of healthcare providers in the Emirate, with the possibility of upgrading insurance coverage according to the patient’s needs. DoH indicated that companies or individuals wishing to subscribe to the 'flexible health insurance' policy must contact health insurance companies when the current health insurance policy is about to expire to obtain more details and apply to the 'flexible health insurance' if the eligibility conditions are met.

HE Dr. Mariam Al Mazrouei, Executive Director of Healthcare Payers Sector at the Department of Health – Abu Dhabi, said: “The Department of Health – Abu Dhabi (DoH) continues to update the regulations of the healthcare system in the Emirate with the aim of providing world-class health services to all members of the community. The 'flexible health insurance' policy in cooperation with the Abu Dhabi Department of Economic Development (ADDED) was initiated with the aim of providing a health insurance package that enhances competitiveness in the sector while attracting businesses in the private sector. This is in light of what Abu Dhabi represents as a leading destination for those wishing to develop their businesses in various fields, due to its advanced infrastructure and incentive measures.”

HE Dr. Al Mazrouei added: “Based on the Emirate’s pioneering health insurance system, our primary goal is to ensure that all members of the community in the Emirate receive insurance coverage that enables them to obtain the healthcare services in accordance with international standards and best practices. We have been keen to provide more insurance options that suit the various requirements of individuals while enhancing competitiveness between health insurance companies and healthcare providers in Abu Dhabi, which will reflect positively on the quality of health services and consequently the health and well-being of community members.”

HE Hala Khaled Al Ameri, Executive Director of the Competitiveness Office of Abu Dhabi (COAD) at the Abu Dhabi Department of Economic Development (ADDED), said: “The launch of the flexible health insurance policy further solidifies Abu Dhabi’s position on the global stage as a target destination for international talents and businesses. The Competitiveness Office of Abu Dhabi remains committed to constantly enhancing the livability in the Emirate by rolling-out initiatives that attract and retain talented cadres. Initiatives such as the flexible health insurance, eases the burden on businesses especially start-ups, as they join the business world. The new policy will reduce costs on investors and talents in the private sector whilst providing a world-class healthcare experience with the flexibility to matchmake a healthcare package based on customer needs, geographical coverage and benefits".

Since the health insurance launch in 2005 under Abu Dhabi Law No. (23) of 2005 and its executive regulations, Abu Dhabi has been able to enhance community members' access to healthcare services and raise the levels of competitiveness among healthcare providers in the Emirate, thus improving the quality of services and consolidating the Emirate's position as a leading healthcare destination in the world.

THE NEW 'FLEXIBLE HEALTH INSURANCE' POLICY PROVIDES ENTREPRENEURS, INVESTORS, AND OTHERS WITH AN INSURANCE OPTION AT A LOW AND COMPETITIVE COST WHILE FLEXIBLE INSURANCE HOLDERS CAN UPGRADE THEIR INSURANCE COVERAGE IN AGREEMENT WITH THE INSURANCE PROVIDER. SEVERAL CATEGORIES CAN SUBSCRIBE TO THE NEW INSURANCE OPTION ACCORDING TO CONDITIONS SET BY THE DEPARTMENT OF HEALTH.

97 NEWS

ARTICLE FEATURES . Accreditation Certificates for Hospitals

MAR.APR 2023 98

Hybrid, Integrated & Digital Operating Rooms

Operating rooms have witnessed significant developments along with the surgical environment in general. Computer screens and robots have become part of modern operating rooms, so we shifted from traditional operations to minimally invasive surgeries that are performed with the minor surgical intervention possible. Today's operating rooms are more efficient and flexible than ever and have turned into smart rooms.

The tremendous development in laparoscopic surgery and the accompanying technological innovations, along with the small and lightweight cameras and lens systems that produce more precise images, the development of diagnostic imaging devices and interventional radiology, as well as the development of information technology and the communications revolution are all factors that have radically changed the operating rooms.

This coincided with the development of the equipment used in the OR, such as anesthesia machines, operating tables, and their unique arms. In advanced operating rooms where laparoscopic surgeries are performed, advanced screens are sometimes hanging from the ceiling not to impede the surgeon's movement in the operating room. They have unique arms that move depending on the surgeon's position.

Types of advanced O.R.s

Quality is one of the essential components of healthcare services. Through the hospitals' While they may sound similar, the differences lie in how technology and data work together. In general, hybrid, integrated, or digital operating rooms all aim to improve safety to positively impact patient outcomes and simplify workflows for the surgeon and surgical team.

Hybrid Operating Room

Hybrid operating room requirements are usually based on imaging, like C.T., MR, C-arm,

HYBRID OPERATING ROOM REQUIREMENTS ARE USUALLY BASED ON IMAGING, LIKE C.T., MR, C-ARM, OR OTHER TYPES OF IMAGING NEEDED TO PERFORM COMPLEX OPERATIONS THAT MAY REQUIRE SURGICAL INTERVENTION IN ADDITION TO CONVENTIONAL SURGERIES.

Accreditation Certificates for Hospitals . ARTICLE FEATURES
99

ARTICLE FEATURES . Accreditation Certificates for Hospitals

or other types of imaging needed to perform complex operations that may require surgical intervention in addition to conventional surgeries. It combines advanced surgical techniques with state-of-the-art medical imaging technologies and interventional radiology, such as magnetic resonance imaging devices, C.T. scanners, and other devices that allow the surgeon to view diagnostic images directly during the operation, which has changed the methods of many complex surgeries.

The Use of medical diagnostic imaging devices inside the operating rooms has allowed the surgical team to obtain direct images during surgery, which led to a change in the surgical care provided to the patient.

Surgeons can now work together with anesthesiologists and radiologists to assess the surgery progress based on the direct diagnostic images taken during surgery.

It is now possible to perform high-precision surgeries that were impossible in the past.

Integrated Operating Room

With an integrated OR, personnel has fewer reasons to leave the operating theatre due to direct connectivity with other hospital equipment and information systems through an interface with the OR. This connection means an integrated OR can be more quickly and easily prepared for each scheduled procedure. Additionally, direct access to high-resolution imaging equipment like X-ray, CT, MRI, and other diagnostic equipment means patients do not have to be moved during surgery when imaging is required. Which, as a result, creates the opportunity for more minimally invasive surgeries.

One of the most significant benefits of OR Integration extends beyond the operating room as OR Integration connects and supports teams, processes and information to improve operative workflow. For example, OR Integration allows in-OR teams to share surgical videos and images with remote specialists for consultation, with classrooms of students for teaching

applications, and real-time peer collaboration with another surgeon at a different location for procedure guidance.

Digital Operating Room

Digital operating rooms are equipped with high-resolution screens to display patient data and surgical steps, which allows for higher accuracy during surgical operations.

Digital operating rooms allow direct transmission of surgical procedures in international medical forums and conferences.

The digital work within the operating rooms contributes to making surgical decisions quickly. Also, it reflects positively on the patient's health by helping him receive the appropriate treatment at the ideal time.

In digital operating rooms, surgical tools are used once only (Single Use), reflected in the surgeries' success. The digital operating room aims to integrate the images, information, and workflow available in the hospital and the operating theater. All this data is then connected to and displayed on a single device. This goes beyond the simple control of devices and software, allowing also for the enrichment of medical data within the operating room.

Digital operating rooms are equipped with a digital system of advanced, high-precision control screens (touch or voice-controlled), that facilitate surgeons' work, increase accuracy and reduce errors. Therefore, a digital O.R. setup functions as a central hub for clinical image data inside the operating room and for recording, collecting and forwarding data to the Hospital I.T. system, where it is centrally stored. The surgeon can control the data inside the O.R. from specified displays according to their desired setup and display images from many different devices.

Digital O.R.s also have an arm suspension system for laparoscopes and medical gases, which allows for more space, flexibility and the ability to adapt to the requirements of any surgery. This also allows the optimal Use of areas while significantly reducing the risk of infection.

DIGITAL OPERATING ROOMS ARE EQUIPPED WITH HIGH-RESOLUTION SCREENS TO DISPLAY PATIENT DATA AND SURGICAL STEPS, WHICH ALLOWS FOR HIGHER ACCURACY DURING SURGICAL OPERATIONS.

DIGITAL OPERATING ROOMS ALLOW DIRECT TRANSMISSION OF SURGICAL PROCEDURES IN INTERNATIONAL MEDICAL FORUMS AND CONFERENCES.

MAR.APR 2023 100

THE JOHNS HOPKINS MEDICINE VISITING PHYSICIAN PROGRAM AT CLEMENCEAU MEDICAL CENTER

HOSPITAL DUBAI

Turn static files into dynamic content formats.

Create a flipbook
Issuu converts static files into: digital portfolios, online yearbooks, online catalogs, digital photo albums and more. Sign up and create your flipbook.