Skip to main content

KlinikLiv 1 - 2026

Page 1


Information, inspiration og indsigt. Udgivet af Tandlægeforeningen

formede tænder mennesket Side 38

Immediat implantat: Biologien hjælper dig Side 26

Sådan

Fast Lav Pris

kr. 89,-

SIMPLEE KULDESPRAY

Til vitalitetstest.

200 ml

Vælg mellem 2 varianter, neutral og med mint.

Fast Lav Pris

kr. 227,-

SIMPLEEJECT

Sterile skyllesæt, hver med 3 ml skyllesprøjte og 32 mm stump skyllekanyle.

100 sæt

Vælg mellem 3 forskellige kanyletykkelser - 23G, 27G og 30 G (tyndeste).

Stort udvalg – også til dine endo-behandlinger

SIMPLEE-sortimentet består af de produkter, der anvendes allermest på klinikkerne. Fælles for produkterne er, at de er af høj kvalitet og altid kan købes til en Fast Lav Pris

Fast Lav Pris

fra kr. 575,-

SIMPLEE

RECIPROKERENDE 1-FILSSYSTEMER

Tre forskellige SIMPLEE filsystemer, der modsvarer de mest populære file på markedet.

Pakke med 6 stk. Vælg mellem SIMPLEE Recip file V, SIMPLEE Recip file V Blue og SIMPLEE W+ Gold.

SIMPLEE-SORTIMENTET

Scan QR-koden for at se hele SIMPLEE kataloget med produkter til Fast Lav Pris UDFORSK

12

Smerter: Tandlægen skal forberede patienter på, hvor ondt det kan gøre efter et operativt indgreb

28

Slidte tænder: Ortodonti bevarer og beskytter

46 22

Antiresorptiv behandling og osteonekrose i kæberne: Skal du behandle eller henvise?

Udgiver: Tandlægeforeningen, Amaliegade 17, 1256 København K, tandlaegeforeningen.dk | Annoncer: Heidi Dyhr, DG Media, Tlf. 28 34 29 21 | Redaktion: Kim Andreasen, Tandlægebladet | Nils-Erik Fiehn, Ansvarshavende redaktør, Tandlægebladet | Design, produktion og tryk: vahle+nikolaisen | Oplag: 5.000 stk. | Forsidefoto: Thomas Nielsen

Implantatbehandlinger: Korrekt udvælgelse af patienter er nøglen til holdbare implantater

Tandlægeforeningen påtager sig ikke noget ansvar for omtalerne i produktomtalerne, ligesom meninger og ytringer i artiklerne ikke nødvendigvis deles af Tandlægeforeningen.

”Vi skal bevare sulten efter at blive klogere”

Hvordan kan vi bruge AI som en medspiller i hverdagen på klinikken? Hvor firkantede må vi være, når vi behandler caries?

Og hvordan styrker vi arbejdsglæden og den gode energi i en travl hverdag på klinikken?

Det er bare nogle af de spørgsmål, der bliver taget under kyndig behandling, når Tandlægeforeningen slår dørene op til Årskursus 2026.

Årskursus er igen i år spækket med en bred vifte af oplæg, livesessioner og TF-talks med nogle af de stærkeste faglige kræfter fra både ind- og udland. Og som noget nyt er der mulighed for selv at afprøve nye teknikker i hands-on sessioner.

Uanset om du er ansat i den offentlige tandpleje, eller om du arbejder i privat praksis, tager du hjem med ny viden, inspiration og konkrete værktøjer, der kan implementeres direkte på klinikken.

Personligt ser jeg særligt frem til Rane Willerslevs oplæg, hvor han tager os med på en rejse gennem tandsættets historie. Og så glæder jeg mig til at blive klogere på immediat implantatmetoden og til at opleve oplægsholderne gennemføre en live-behandling.

I vores fag bliver vi aldrig færdige med at uddanne os – og heldigvis for det. Tandlægefaget udvikler sig konstant og i disse år i et tempo, der stiller stadig større krav til os og vores faglighed. Ny teknologi, nye metoder og nye produkter ser dagens lys og giver os bedre muligheder for at optimere og effektivisere vores arbejde, så vi kan tilbyde vores patienter den bedst mulige behandling.

Men den udvikling forpligter. Den kræver, at vi bevarer sulten efter at blive klogere og prioriterer løbende efteruddannelse. Vi har et fælles ansvar for at holde det faglige niveau højt. Det er ikke blot en investering i vores egen faglighed, men i vores patienters sundhed. Netop derfor er det vigtigt at værne om Årskursus som en fast, tilbagevendende begivenhed. Årskursus er ikke kun en unik mulighed for os tandlæger, tandplejere og klinikassistenter for at blive fagligt skarpere og dyrke passionen for vores fag i et stærkt fagligt fællesskab. Det er også et mødested, hvor vi kan styrke sammenholdet på klinikken, netværke, møde samarbejdspartnere og genopfriske forbindelsen til kolleger og tidligere studiekammerater – og hvor vi sammen kan gå på opdagelse i det nyeste udstyr hos de mange udstillere.

Jeg ser frem til gode samtaler – og til at blive klogere sammen i Lokomotivværkstedet.

Torben Schønwaldt

Formand for Tandlægeforeningen

MØD OS PÅ STAND 52

Lige ved Tandlægeforeningens stand!

Professionel investeringsrådgivning

– spar 2.400 kr. om året

Maj Invest Bank tilbyder tandlæger en enkel og professionel løsning til opsparing og investering – så du kan bruge mere tid på klinikken.

Dine fordele som tandlæge:

Egen investeringsrådgiver – skræddersyet sparring og rådgivning ud fra din risikoprofil.

Gennemsigtige priser – som medlem af Tandlægeforeningen sparer du 2.400 kr. om året.

Attraktiv opsparingskonto – høj rente på alle indlån uden binding.

Helhedsorienteret rådgivning – vi dækker både erhverv, VSO, pension og frie midler.

Gratis pensionstjek – få gennemgået dine nuværende investeringer og omkostninger.

Lad os skabe langsigtet værdi, mens du koncentrerer dig om patienterne.

Kontakt os på telefon 33 38 97 00 eller info@majbank.dk. majinvestbank.dk

Dette er markedsføring af Maj Invest Bank A/S, CVR-nr. 36 08 59 16. Denne annonce er ikke tilpasset dine personlige forhold eller behov og kan derfor ikke betragtes som investeringsrådgivning eller individuel rådgivning. Historiske afkast er ingen garanti for fremtidige afkast, og alle investeringer medfører risiko for tab.

Årskursus 2026:

Høj faglighed og et stærkt fællesskab

I år kan deltagerne se frem til et Årskursus med tårnhøj faglighed, flere forskellige former for sessioner end sidst, dygtige oplægsholdere og plads til det sociale. Målet er at styrke det faglige og sociale fællesskab på tandklinikkerne og give deltagerne ny inspiration og viden til hverdagen.

Årskursus 2026 har ét klart mål: At skabe et samlingspunkt, hvor hele tandplejeteamet –tandlæger, tandplejere og klinikassistenter – kan styrke deres faglighed og fællesskabet på klinikken, og hvor de samtidig kan minde sig selv om, hvorfor de arbejder i sundhedssektoren.

Unikke kompetencer i Danmark

Lars Nygaard er tandlæge med henvisningspraksis. Han har planlagt pro-

grammet for Årskursus sammen med specialtandlæge i tand-, mund- og kæbekirurgi, Malene Hallund, tandlæge Xenia Hermann, tandlæge og ph.d. Morten Bay Grauballe samt Tandlægeforeningens Efteruddannelse.

For Lars Nygaard handler de to dage ikke blot om oplæg og sessioner, men også om at dyrke passionen for faget, fællesskabet og den gode patientoplevelse.

- Vi er ikke blege for at være højtravende. Vi vil gerne vise, at vi i Danmark har nogle helt unikke kompetencer, og det skal vi være stolte af. Dansk tandpleje rummer et enormt fagligt potentiale. Det blev tydeligt, allerede da vi havde den første brainstorming om kurset, hvor vi kunne se, at vi herhjemme har flere faglige spydspidser, end mange egentlig er klar over, fortæller Lars Nygaard.

Hele teamet skal løftes sammen

Et af de klare fokusområder i 2026 er en styrket indsats for klinikassistenter og tandplejere. Evalueringerne fra sidste år viste et ønske om mere målrettet indhold til disse grupper, og det har kursusledelsen taget til sig.

- Derfor er programmet designet, så flere sessioner er relevante for hele teamet – fx er scene 1 om lørdagen afsat til et tema om periimplantitis. Netop periimplantitis kræver et interdisciplinært samarbejde, så det giver god mening, at tandlæger, klinikassistenter og tandplejere deltager sammen, siger Malene Hallund.

Hands-on er fremtidens undervisningsform

En særlig nyhed i Årskursus 2026 er Scene 6. Det er et område dedikeret til hands-on sessioner med ca. 25

deltagere. Her kan man på forhånd booke sig ind - fx som et team af tandlæger, klinikassistenter og tandplejere fra samme klinik.

Hands-on sessionerne om bl.a. implantatindsættelser og brug af kofferdam giver ifølge Malene Hallund en helt særlig form for vidensdeling.

- Seancerne på Scene 6 er tilrettelagt, så man starter med en smule teori. Derefter skal deltagerne bogstaveligt talt prøve at arbejde med det emne, sessionen handler om, forklarer Malene Hallund og fortsætter:

- Jeg tror, at hands-on sessionerne kommer til at fylde endnu mere i de kommende år. Nu er vi spændte på, hvordan det kommer til at gå denne første gang, og så må vi se, hvad vi skal justere til næste Årskursus.

Færre, men tungere sessioner Årskursuskollegiet har denne gang reduceret antallet af sessioner sammenlignet med 2025.

- Sidste år var der simpelthen for meget godt. Vi oplevede, at deltagerne

kunne sidde et sted og være bange for at gå glip af noget på en anden session. For at skabe mere ro og nærvær i programmet, er der færre sessioner, men til gengæld har vi gjort dem mere fokuserede og dybdegående, siger Malene Hallund.

Niveauet skal holdes højt

Hun føler sig privilegeret som arrangør af Årskursus 2026.

- Der sker så meget i vores fag hele tiden, og mulighederne for videreuddannelse og specialisering er næsten uendelige, siger Malene Hallund.

Lars Nygaard er enig:

- Selv om jeg har været i tandlægefaget i 32 år, har det aldrig været så fagligt spændende som nu. Vi skal være stolte over, hvad vi kan herhjemme – og vi skal holde niveauet højt, hvis vi vil tages alvorligt som en del af sundhedssektoren. Det synes jeg, at vi lykkes med i programmet til Årskursus 2026.

Lars Nygaard
Malene Hallund
Xenia Hermann
Morten Bay Grauballe

Vælg mellem et bredt udvalg af tandpastaer og find den, der passer til dine patienters behov.

Alle varianter er uden farvestoffet titaniumdioxid og tandpastaen er derfor transparent. Derudover er Zendium, som du kender den. Mild i smag, uden SLS, med natriumfluorid, enzymer og proteiner – og effektiv!

Så uanset hvilke behov dine patienter har – så kan Zendium tilbyde en variant, der bidrager til at forbedre mundsundheden.

Med Zendium Professional kan du passe på planeten, mens du passer på dit tandkød. Se her hvordan:

GENANVENDT PAP

80% genanvendt pap til tandpastaæsker

BIONEDBRYDELIGE INGREDIENSER

99% af tandpastaen er bionedbrydelig

TUBE AF BIOPLASTIC

Mindst 60% bioplast i tandpastatuber

Se mere på zendium.dk

Spørgsmål? Kontakt os: zendiumprofessional@unilever.com

Velkommen til Årskursus 2026

Sted

Lokomotivværkstedet

Otto Busses Vej 5A

2450 København SV

Åbningstider

Fredag den 13. marts kl. 8.15-19.

Lørdag den 14. marts kl. 8.30-15.

Årskursuskollegiet

I 2026 består Årskursuskollegiet af Malene Hallund, specialtandlæge i tand-, mund- og kæbekirurgi, Lars Nygaard, tandlæge med henvisningspraksis, Xenia Hermann, tandlæge og Morten Bay Grauballe, tandlæge, ph.d.

Praktisk info

Drop-in

Du kan frit cirkulere mellem de åbne sessioner uden at reservere plads. Undtagelsen er dog hands-on sessionerne på Scene 6.

Hands-on sessioner

Pladserne på hands-on sessionerne, som finder sted på Scene 6, er begrænsede. Derfor kræver det en særlig booking via vores eventplatform, EventBuizz, hvis du vil deltage her. Som deltager får du adgang til booking via EventBuizz tidligst 14 dage før Årskursus. Det er gratis for alle deltagere at booke.

Mød Tandlægeforeningen

Kom og mød Tandlægeforeningens fagpolitikere og medarbejdere på foreningens stand, der er placeret midt i udstillerområdet.

Forplejning

Forplejning er inkluderet i prisen. Der er hjemmebag til morgenkaffen, frokost samt kaffe og vand.

TF-talks

Succesen med TF-talks fra sidste år fortsætter. Her kan du få serveret korte oplæg om de nyeste tendenser inden for odontologien præsenteret af spændende gæster.

Social Hours

Efter fredagens faglige oplæg inviterer Tandlægeforeningen til Social Hours. Her kan du møde nye og gamle kolleger i en afslappet atmosfære over lidt mad og drikke.

Programmet

På Tdlnet.dk kan du altid tjekke det fulde, opdaterede program. Her kan du også tilmelde dig Årskursus 2026. Er du ikke medlem, kan du følge med på Tandlægeforeningen.dk

Udvalgtikke tilfældigt.

Specialiserede dentalløsninger.

Udvalgte leverandører. Direkte dialog.

Christian D. Gram

Founder / rådgiver

Unikke specialiteter. Bedre overblik. Sikre beslutninger.

Udvalgte

Smerter efter kirurgisk indgreb:

”Vi skal blive bedre til at informere patienten om, hvor ondt det kan komme til at gøre”

Patienter skal være smertedækket så godt som muligt efter et operativt indgreb. Men lige så vigtigt er det, at tandlæger informerer patienterne om de mulige gener, så de er forberedte, siger specialtandlæge og ph.d. Marie Kjærgaard Larsen.

Effektiv smertebehandling er en central del af den odontologiske praksis. For at kunne tilbyde patienterne en målrettet og sikker lindring af smerter er det afgørende, at man som tandlæge forstår forskellige risikofaktorer for smerte og deres indflydelse på de postoperative gener, og at man har kendskab til relevante smertestillende medicinske midler.

Vigtigt at være smertedækket Når man har ondt i forbindelse med tandbehandling, er det ofte smerter, der opstår efter et operativt indgreb. Specialtandlæge og ph.d. Marie Kjærgaard Larsen har i flere år forsket i postoperative smerter. Hun forklarer, at netop denne type af smerter er hyppige og forventelige.

- Smerternes intensitet og varighed afhænger af en række faktorer – herunder typen af indgreb, operationens omfang, patientens individuelle forhold samt de profylaktiske og terapeutiske tiltag, der iværksættes, siger Ma-

rie Kjærgaard Larsen, der i sin forskning bl.a. har fokuseret på de smerter, der opstår ved fjernelse af visdomstænder.

- Smerter kan gøre, at du ikke spiser, sover dårligere, er mere irritabel og generelt oplever en markant dårligere livskvalitet, end du er vant til. Og det kan risikere at forsinke helingsprocessen. Derfor er det også vigtigt, at patienterne er ordentligt smertedækket efter en operation, siger hun.

Tal med patienten om smerte I den sammenhæng fylder medicinsk smertelindring naturligvis en del, men Marie Kjærgaard Larsen vil gerne slå et slag for, hvor meget det kan betyde, at tandlægen informerer patienten grundigt om, hvor ondt det kan komme til at gøre, når bedøvelsen ikke virker mere, fx hvis man har fået fjernet en visdomstand.

- Tal med patienten om, at der er foretaget en operation. Der er lavet incision, fjernet knogle, fjernet tand, eventuelt lagt kræfter i behandlingen, og de er blevet syet. Og forklar, at man ikke kan forvente hverken at kunne spise almindeligt, sove så godt som

Det har en positiv effekt på graden af smerte hos patienterne, når man så at sige advarer dem på forhånd
MARIE KJÆRGAARD LARSEN

Deltag i sessionen

Du kan høre Marie K. Larsen, Bitten Dybdal og Sune Demant fortælle om Håndtering og behandling af smerter i hverdagen

› Fredag den 13. marts

› Kl. 10.30

Smerter kan gøre, at du ikke spiser, sover dårligere, er mere irritabel og generelt oplever en markant dårligere livskvalitet, end du er vant til

man plejer eller tage på arbejde dagen efter indgrebet. Det har en positiv effekt på graden af smerte hos patienterne, når man så at sige advarer dem på forhånd, siger Marie Kjærgaard Larsen.

Opringning virker positivt I samme boldgade har det også vist sig, at det har en effekt på postoperative smerter, hvis patienterne kontaktes telefonisk i dagene efter indgrebet.

- Typisk bliver patienterne sendt hjem med postoperativ information om kost, mundhygiejne og smertestillende medicin samt instruktion i, hvordan de skal tage smertestillende medicin, som skal være med til at dække deres smerter. Og så håber man på, at man ikke ser eller hører mere fra dem. Men et studie fra Rigshospitalet og Odontologisk Institut, Københavns Universitet, som jeg har foretaget, viser, at patienterne har mindre smerte, hvis de får en opringning fra os, siger Marie Kjærgaard Larsen og fortsætter:

- Vi spørger dem om, hvordan de har det - om den smertestillende medicin lindrer de fleste smerter, og om de tager den i de rette doser. Samtidig får patienterne også mulighed for at spørge ind til smerterne. De fortæller også, at opkaldet virker som en form for omsorg, siger Marie Kjærgaard Larsen.

Marie Kjærgaard Larsen

› Tandlæge, uddannet fra Københavns Universitet i 2013

› Specialtandlæge i Tand-, Mund- og Kæbekirurgi fra Aalborg Universitetshospital og Aarhus Universitetshospital i 2021

› Forsvarede sin ph.d.-afhandling i 2021 med titlen: Kortikosteroider og kuldebehandling ved kirurgisk fjernelse af visdomstænder i underkæben

› Adjunkt på Odontologisk Institut ved Københavns Universitet siden 2021

› Ansat på Afdeling for Kæbekirurgi på Rigshospitalet siden 2021

Vidste du, at Colgate® tilbyder

tandpasta uden SLS* skummemiddel?

– til patienter med særlige behov!

Anbefaler du tandpasta uden SLS* skummemiddel til patienter med særlige behov, såsom dem der anvender Klorhexidin mundskyl post-operativt, lider af tilbagevendende blister (RAU) eller har tør mund? Colgate har nogle skånsomme alternativer, der giver samme gode effekt på tandsundheden som vores andre tandpastaer.

Scan QR-koden for mere information.

Produktomtaler

Regnskaber skal ikke trække

tænder ud

Kom forbi vores stand og få en uforpligtende snak med vores dygtige revisorer om mulighederne for optimering af drift og økonomi af din tandklinik.

Udover klassisk revision og regnskab kan du fx også trække på nedenstående indsigter:

• Branchespecifikke statistikker og nøgletal

• Finansiering af ny praksis

• Fokuseret forretningsudvikling

• Rådgivning om generationsskifte, virksomhedsoverdragelse mv.

Vi glæder os til at hilse på jer til Tandlægeforeningens Årskursus 2026.

Aros statsautoriserede revisorer

Tlf. 86 27 02 71 aros@arosrevision.dk www.arosrevision.dk

Stand 88,89

DentView AI Clinic

Smart venteværelse. Smidigere arbejdsgange. Engagerede patienter.

Tag hånd om jeres patienter med en gennemprøvet nordisk metode til egenomsorg. En interaktiv informationsstander giver personlig feedback med

adgang til hjemme-app med 3D-modeller og guidet læring og tidsbesparelse for klinikken.

DentView AI kortlægger behandlingsperspektiv og behov mv. Indsamlede data overføres struktureret til tandteamet med AI-noter klar til journalsystem. Synliggør også behandlingsbehov – keramik, alignere m.v. Digitalisering fuldt tilpasset jeres klinik.

Cormalis ApS Tlf. 52 19 13 17 cg@cormalis.dk www.cormalis.dk

Stand 14

Colgate Total+

Styrk aktiv forebyggelse mellem klinikbesøg med Colgate Total Active Prevention+. Selvom korrekt mekanisk plakfjernelse er afgørende, kan tandpasta med innovativ teknologi tilbyde yderligere fordele for den orale sundhed. Dette er et simpelt skridt for patienten i forhold til at fremme forebyggelse.

Hør mere om vores unikke, stabiliserede tinfluorid-formel på Tandlægeforeningens Årskursus, hvor du også kan få en personlig prøve.

Colgate-Palmolive

Tlf. 80 60 70 00

www.colgateprofessional.dk

Stand 13

Vil du være en del af et klinikfællesskab med fokus på faglig kvalitet

og klinisk frihed?

Hos OC Tandklinikker samler vi klinikker, der deler vores fokus på høj kvalitet i behandlingen, frihed i klinikken og styrke i fællesskabet.

Vi tror på, at den bedste tandpleje skabes lokalt af dygtige fagpersoner, når rammerne er i orden. Derfor bevarer klinikkerne deres identitet og arbejdsgange, mens vi understøtter

med stærke fælles strukturer og central support.

OC Tandklinikker er en del af Oral Care med mere end 35 års erfaring i Norden. Vores ambition er at opbygge et stærkt dansk klinikfællesskab, hvor der er mere tid til patienterne og fokus på det faglige.

Vil du høre mere, er du velkommen til at tage fat i os til årskurset, tage kontakt eller følge med på vores hjemmeside.

OC Tandklinikker

Lucas Kromann

Tlf. 25 25 93 51

lucas.kromann@octandklinikker.dk www.octandklinikker.dk

Stand 24, 25

§ 166-ansøgninger:

En ordentlig journal er afgørende

Som tandlægekonsulent i Region Sjælland oplever Poul Møller, hvordan mangelfulde journaler og for dårligt kendskab til ordningen blandt tandlæger kan gøre det ekstra bøvlet at få tilskud gennem § 166-ordningen.

Sundhedslovens

§ 166 er en tilskudsordning målrettet udvalgte patientgrupper, der er i særlig risiko for - eller allerede har fået - betydelige tandproblemer eller betydelig oral funktionsnedsættelse som følge af deres sygdom eller sygdomsbehandling.

På et eller andet tidspunkt møder alle privatpraktiserende tandlæger en patient, som er berettiget til at søge tilskud fra § 166-ordningen. Men ifølge Poul Møller, der som tandlægekonsulent i Region Sjælland vurderer ansøgninger om tilskud, er der stadig en vis uvidenhed om ordningen hos nogle tandlæger – især efter at ordningen ad to omgange er blevet udvidet.

- Jeg oplever, at nogle tandlæger ikke ved, hvilke kriterier der skal være opfyldt for at komme i betragtning til tilskud. Så får vi en ansøgning, som de har brugt tid på at udarbejde, og de har også skabt en forventning hos patienterne, som ikke kan indfries, siger Poul Møller.

Som eksempel nævner han, at patienten skal have tandproblemer af en

vis grad, hvilket betyder, at der skal være caries i tre forskellige tænder inden for det seneste år – ellers er man uden for målgruppen til tilskud. Og hvis ansøgningen kommer på baggrund af en af de psykiske sygdomme, som ordningen også omfatter, kræver det altid en lægeudtalelse om diagnosen. Sagsbehandlingen går betydeligt hurtigere, når lægeudtalelsen indsendes sammen med ansøgningen.

Bedre kendskab til § 166

Poul Møller vil gerne bidrage til, at tandlægerne får endnu bedre kendskab til ordningen og de kriterier, der skal opfyldes for at få tilskud.

- Når de så sender ansøgningen, er det allervigtigste, at de har skrevet en

ordentlig og fyldestgørende journal. Har de det, har jeg alt det, jeg skal bruge for at vurdere ansøgningen, fortæller Poul Møller.

Det er dog ikke altid, at journalen er fyldestgørende. Det betyder opringninger og skriverier frem og tilbage mellem regionen og tandlægen - bøvl, der kunne være undgået. Spild af begge parters tid. Han peger også på, at det kan knibe med at opfylde kravene i ansøgningen om en individuel forebyggelsesplan og prognosevurdering.

- Forebyggelse og tidlig indsats er helt centralt, når det gælder tandsundheden hos de her patienter. Derfor er det afgørende, at tandlægen får lagt en plan for både behandlingen og forebyggelsen, siger Poul Møller.

Deltag i sessionen

Du kan høre Poul Møller, Mia Portz Johannsen og Maiken Bagger fortælle om Udvidelse af § 166 – hvordan hjælper vi patienterne bedst?

› Fredag den 13. marts

› Kl. 10.00

Ny mini-MBA fra Plandent til dig, der driver din egen klinik

Klar til næste skridt som klinikejer?

Drømmer du om at rykke dig – ikke bare som tandlæge, men som klinikejer og leder? Så er vores nye Dental mini MBA for dig.

På Danmarks første mini-MBA, målrettet dig som klinikejer, får du værktøjerne til at udvikle en sund klinik, hvor mennesker og økonomi trives – og hvor du har overskud til at være den leder, du drømmer om at være.

Se mere og tilmeld dig på: plandent.dk/dental-mini-mba

Scan QR-koden og hør mere om Dental mini MBA

Plast i den kompromitterede tand:

Gør restaureringen så tæt som mulig

Hvis en restaurering med plast skal lykkes, er det afgørende, at forseglingen mellem tanden og det materiale, der anvendes, er så tæt og stærk som mulig.

Idet øjeblik en tand mister bare lidt substans, bliver den svækket og kan gå under betegnelsen ”kompromitteret”. Men der er stor forskel på, hvor kompromitteret tanden er, og hvordan den kan bevares.

Tandlæge Regitze Præstegaard har igennem mange år arbejdet med bidfunktion og okklusion. De sidste fire år har hun fordybet sig i avanceret adhæsiv teknik for at optimere holdbarhed og tæthed i restaureringer.

- Kernen i arbejdet er at skabe en stærk og stabil forsegling mellem tanden og den erstatning, vi sætter i – uanset om det er en krone, en plastfyldning eller noget helt tredje. For hvis vi ikke får bakterier holdt ude fra starten, og systemet begynder at give sig under tyggetryk, temperatursvingninger og fugt, så mister limen grebet alt for tidligt, og erstatning og tand risikerer at svigte, forklarer Regitze Præstegaard.

Som en lagkage

Den metode, Regitze Præstegaard arbejder med, bygger på såkaldte biomimetiske principper, hvor målet er at kopiere tandens biologiske mekanik

og struktur, så erstatningen arbejder “med” tanden.

- Du kan sammenligne det lidt med at lave en lagkage. Det gælder om at få alle lag i lagkagen til at spille perfekt sammen. Hvert lag har sin funktion, og ikke alle er lige nemme at arbejde med – især når der er tale om dybe kaviteter med svækket dentin, siger hun og fortsætter:

Der er ideelle materialer, som man anbefaler som biomimetiker, men uanset hvilke materialer man har til rådighed, er Regitze Præstegaards budskab, at der altid eksisterer måder, hvorpå man kan optimere erstatningen og dermed forebygge både rodbetændelse og sekundær caries samt sikre et langtidsholdbart resultat.

Regitze B. Præstegaard

› Tandlæge, uddannet fra Københavns Universitet 1996

Deltag i sessionen

Du kan høre Regitze B. Præstegaard fortælle om Plast i den kompromitterede tand

› Fredag den 13. marts

› Kl. 10:15

› Privat praktiserende tandlæge i Esbjerg siden 2001

› Har siden 2006 dyrket faginteresser indenfor okklusion, minimal invasive teknikker og biomimetik

› Kursusgiver om biomimetik, okklusion og bidhævning, Onlays og andre mindre keramiske erstatninger og slid

AF KIM ANDREASEN

Besøg os på Årskursus 2026, stand nr. 4!

Fejr med os, og lad din klinik skinne!

I 60 år har vi sat standarder inden for tandpleje – med en komplet portefølje af innovativ røntgenteknologi, der understøtter dig med AI-funktioner og fremtidssikrer din tandklinik. Læs mere på duerrdental.com/60years

Ikke alle mennesker er egnede til at få implantater

Hvis en implantatbehandling skal lykkes på langt sigt uden, at der opstår periimplantitis, afhænger det i lige så høj grad af det forarbejde, der ligger før selve behandlingen, som af den kirurgiske teknik. Korrekt patientselektion og grundig forberedelse er nøglen til implantater, der holder i mange år.

En succesfuld implantatbehandling begynder længe før selve kirurgien. Ikke alle patienter er egnede til at få implantater ved første konsultation, og i mange tilfælde kræver det en grundig vurdering af både lokale forhold i mundhulen og patientens generelle helbred, før man kan foretage et sikkert valg.

- Langtidsholdbare implantater afhænger i høj grad af denne indledende vurdering, da den giver klinikeren mulighed for at identificere risikofaktorer, som senere kan føre til biologiske komplikationer omkring implantatet, forklarer tandlæge og ph.d. Kristina Bertl, der har et indgående kendskab til parodontologi.

Hold øje med risikofaktorer

Men hvad er det for nogle risikofaktorer, man skal holde øje med? Ifølge Kristina Bertl bør man tidligt identificere forhold som utilstrækkelig mundhygiejne, ubehandlet parodontitis, rygning, systemiske sygdomme og medicin, der kan påvirke knogleheling og vævsrespons.

- Ved at adressere disse problemstillinger inden kirurgi kan man reducere risikoen for periimplantære sygdomme og samtidig forbedre forudsætningerne for en stabil knogledannelse omkring implantatet, siger hun.

Egnet til implantatbehandling

Kommer man frem til, at en patient er eksponeret for så mange risikofaktorer, at en implantatbehandling ikke umiddelbart vil være en egnet behandling, kan faktorerne i nogle tilfælde håndteres gennem en målrettet parodontal behandling, ændringer i patientens livsstil eller medicinsk optimering.

- Dermed kan patienten senere blive egnet til implantatbehandling, selv om det ikke er tilfældet ved det første besøg, siger Kristina Bertl, der også understreger, hvor vigtigt det er at informere patienter om risici, når de får en implantatbehandling.

- Vi oplever nogle gange, at patienter tænker: Nu har jeg fået et implantat, så er alt godt, og jeg kan aldrig få caries mere. Men faktisk er implantaterne mere udsatte end en naturlig tand. Derfor skal implantatpatienter altid instrueres grundigt i renhold, og de fleste bør gå til kontrol to gange om året - måske hyppigere, hvis der er problemer eller risiko for, at de kan opstå, siger Kristina Bertl.

Diagnose, forebyggelse og behandling

Sessionen om periimplantitis på Årskursus 2026 vil, udover Kristina Bertls oplæg, også indeholde en præsentation af dr.odont., tandlæge og ph.d. Daniel Belstrøm. Han vil præsentere en struktureret og systematisk tilgang til diagnostik, forebyggelse og behandling af periimplantære sygdommemed udgangspunkt i den internationa-

le klassifikation af periimplantære sygdomme fra 2018 og de internationale guidelines for forebyggelse og behandling af perimucositis og periimplantitis fra 2023.

Målet med Daniel Belstrøms præsentation er, at deltagerne får en forståelse for, hvordan korrekt diagnostik under hensyntagen til patientens risikoprofil kan hjælpe behandleren med at vælge den korrekte individuelle behandling for den enkelte patient med periimplantære sygdomme.

Deltag i sessionen

Du kan høre Kristina Bertl og Daniel Belstrøm fortælle om Periimplantitis - evidensbaseret tilgang fra teori til praksis

› Lørdag den 14. marts

› Kl. 10:15

› Tandlæge, Medical University of Vienna 2010

› MSc, Periodontologi 2012

› Ph.d. 2015

Kristina Bertl

Produktomtaler

Klar til næste skridt som klinikejer?

At drive en klinik kræver strategisk overblik, økonomisk og forretningsmæssig forståelse og evnen til at motivere klinikteamet.

Vi har skabt Dental mini MBA – uddannelsen til dig, der ejer din egen klinik og vil tage lederskabet og forretningen til næste niveau.

Dental mini MBA giver dig viden og værktøjer til at:

• Vækste din klinik med en klar retning

• Skabe en sund og profitabel forretning

• Styre økonomien med blik for fremtiden

• Udvikle og motivere dit team

Uddannelsen kombinerer praksisnær undervisning med inspirerende cases fra erfarne klinikejere og ledere med solid faglig viden og praktisk erfaring.

Er du klar til at tage skridtet fra dygtig behandler til stærk forretningsleder? Så læs mere på plandent.dk/ dental-mini-mba

Plandent

Tlf. 43 66 44 44 plandent@plandent.dk www.plandent.dk

Stand 9, 10, 21, 56-75

Få en bank, der forstår tandlægernes verden

Bliv kunde i en bank, der er ejet af fagforeninger – herunder Tandlægeforeningen.

Hos Lån & Spar får du en erhvervsrådgiver med indgående kendskab til tandlægebranchen og mange års erfaring med rådgivning af klinikejere.

Vi tror på personlig rådgivning, fair vilkår og et samarbejde med en partner, der forstår dine udfordringer og muligheder som klinikejer. Book et uforpligtende møde hos dig på klinikken eller online – det er helt op til dig.

Bedre flow på klinikken med smart kaldeanlæg

Slut med bimlen og bamlen. Med et UnitCall kaldeanlæg får I et enkelt og effektivt kaldeanlæg, der gør det nemt at tilkalde præcis den assistance, du har brug for ved stolen, uden at forstyrre hele klinikken. Det giver mere ro og bedre flow på klinikken.

Du tilkalder assistance via en trådløs kaldeknap i klinikrummet eller direkte fra unittens display. Beskeden sendes til personlige pagere eller til et væghængt LED-display, alt efter hvad I foretrækker på klinikken.

Plug & Play-løsning til tre klinikrum, kun kr. 11.900,Kontakt Nordenta for at høre mere.

Nordenta Tlf. 87 68 16 11 www.nordenta.dk

Stand 12

Colgate - mild og uden natriumlaurylsulfat (SLS)

Vidste du, at Colgate tilbyder tandpasta uden SLS-skummemiddel?

Anbefaler du tandpasta uden SLS-skummemiddel til patienter med særlige behov?

Fx i forbindelse med følgende patientsituationer:

• Klorhexidin mundskyl postoperativt

• Lider af gentagne blister

• Hyposalivation

• Lichen planus

• Oral candidiasis

Lån & Spar Erhverv

Tlf. 33 78 23 88 www.lsb.dk/erhverv

Stand 110, 111

Colgate har nogle skånsomme alternativer, der giver samme gode effekt på tandsundheden som vores andre tandpastaer.

Hør mere om vores sortiment af SLS-fri tandpasta på Tandlægeforeningens Årskursus, hvor du også kan få en personlig prøve.

Colgate-Palmolive

Tlf. 80 60 70 00

www.colgateprofessional.dk

Stand 13

3M Health Care er nu Solventum

Ét system, tre farver: Et enkelt flowmateriale til alle kavitetsklasser

2026

stand 84–85

Nyhed

Solventum™ Filtek™ Easy Match Flowmateriale

Det er tid til at udvide din værktøjskasse med et forenklet flowmateriale. Vores nyeste flowkomposit giver praktisk talt ingen porøsiteter og supplerer 3M™ Filtek™ Easy Match Universal Fyldningsmateriale

Begge kompositmaterialer muliggør et intuitivt valg af farve og en naturlig tilpasning af opacitet kombineret med den fremragende holdbarhed af polering og slidstyrke, du forventer af Filtek fyldningsmaterialer. Desuden er de velegnede til kompositopvarmning med den hurtige, nemme og bærbare Solventum™ Filtek™ kompositvarmer!

Bright, Natural og Warm:

Med kun tre farver får du et fremragende match til de fleste tænder – uden brug af blocker.

© Solventum 2026. Solventum, S logoet og Filtek er varemærker tilhørende Solventum eller dets datterselskaber. 3M og 3M logoet er varemærker tilhørende 3M. OMG2033955,

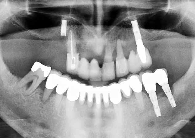
Immediat

implantat:

” Vi udnytter biologien til at få et bedre resultat”

Når implantatet bliver sat op umiddelbart efter ekstraktionen, kan det væv, der var omkring den fjernede tand, skabe gode betingelser for, at implantatet sidder fast, og at det endelige resultat af restaureringen ender godt.

Tanden kan ikke reddes og må trækkes ud. Implantatet sættes i, og en midlertidig tand monteres - alt sammen i én behandlingsseance. Patienten går ind ad døren med en ødelagt fortand og kan gå ud igen med et smil, der både ser naturligt ud og er funktionelt.

Sådan fungerer et immediat implantat. Behandlingsmetoden, der både bevarer tandens væv bedre og reducerer patienternes behandlingstid, foregår i et tæt parløb mellem kæbekirurgien og protetikken. Netop sådan et parløb har specialtandlæge i tand-, mund- og kæbekirurgi, Kristian Thesbjerg, og tandlæge med ekspertise i protetik, Morten Tang Jensen, haft siden 2017.

- Jeg var på det tidspunkt på et kursus i Spanien, hvor jeg blev præsenteret for immediat implantatmetoden, og jeg blev ret begejstret. Da jeg kom hjem, kontaktede jeg Morten og sagde: Det skal vi da prøve, fortæller Kristian Thesbjerg.

Siden har de to tandlæger arbejdet med metoden og gradvist udviklet og

Når vi indsætter implantatet hurtigt, efter at tanden er trukket ud, tilpasser vævet sig nemmere, end hvis vi venter, og det klapper sammen

MORTEN TANG JENSEN

forfinet den til, hvad den er i dag, hvor den både giver flotte resultater og en stor tilfredshed hos patienterne.

Bedre betingelser for implantatet Metodens styrke ligger i, at man udnytter biologien til at give bedre betingelser for implantatet. Morten Tang Jensen forklarer:

- Når vi indsætter implantatet hurtigt, efter at tanden er trukket ud, tilpasser vævet sig nemmere, end hvis vi venter, og det klapper sammen. Man kan sammenligne det med en arm i gips, som jo hurtigt bliver tynd og mister muskelkraft. Det samme sker i mundhulen.

Grundig klinisk undersøgelse Ikke alle er kandidater til immediat implantat. Akkurat som det gælder

alle typer af implantatbehandlinger, er det nødvendigt at se på den generelle sundhed hos patienten.

- Har du fx tre andre knækkede tænder og er ryger, er du ikke velegnet til lige netop denne type af implantatbehandling, siger Morten Tang Jensen.

I samme ombæring pointerer Kristian Thesbjerg, at behandlingen kræver en grundig klinisk undersøgelse af patienten med røntgenbilleder og CBCT-scanninger af munden for at vurdere egnetheden til en immediatbehandling.

- Man skal heller ikke gå i gang, før man er sikker på at have et sted at forankre implantatet, og så kræver teknikken både kirurgisk præcision og en protetik, der er grundigt planlagt, siger han.

Deltag i sessionen

Du kan høre Kristian Thesbjerg og Morten Tang Jensen fortælle om Immediat implantatindsættelse og opleve dem foretage en live-behandling

› Fredag den 13. marts

› KL. 11:00

Besøg os på Årskursus

Stand 107-108

Deltag i konkurrencen

Kom og oplev vores nye Kepler Kompakt

3.4x, 5.0x, 7.6x

Løft dine behandlingsresultater og din ergonomi til et nyt niveau med Kepler Reflekt 4.0x og 6.0x.

Danske ExamVision fremstiller lupbrillerne 100% til dig. Vores optikere besøger dig på klinikken.

T: 75 89 57 11 •

Ortodonti:

Et effektivt værktøj mod slid på tænderne

Med ortodonti kan specialtandlægen og tandlægen i et tæt samarbejde skabe et solidt fundament for både genopbygningen og den efterfølgende bevaring af slidte tænder.

Slid på tænderne fylder mere og mere - både i folks bevidsthed og i tandlægestolen. Mens tandlæger har fokus på funktion og tab af tandsubstans, er patienterne typisk mest optaget af det æstetiske.

- Alle vil gerne have flotte tænderisær fortænder - så vi kan smile. Det er ikke længere acceptabelt at have væsentligt slid på fortænderne. Udfordringen er, at sliddet sker langsomt, og der går ofte lang tid, før patienten opdager det, siger Morten G. Laursen, der er specialtandlæge ved - og ejer af - Specialtandlægerne Aarhus Tandregulering samt afdelingstandlæge ved Institut for Odontologi og Oral Sundhed ved Aarhus Universitet.

- I min praksis, hvor jeg har patienter, som oftest er henvist af egen tandlæge, møder jeg tandslid på mange forskellige niveauer. Der er nogle, som har så alvorligt et slid, at det er ved at være sidste chance, hvis deres tænder skal genoprettes, siger Morten G. Laursen, der samtidig påpeger, at jo tidligere slid opdages, desto mere skånsomt kan det behandles.

- Selv i større rehabiliteringer bør man gå så minimalt invasivt til værks som muligt, og nøje vurdere, om løsningen er ortodonti.

Der mangler plads til genopbygning

Når slid har fjernet væsentlig tandsubstans – særligt på fortænderne – står man ofte over for en udfordring: Der er ikke plads til at bygge tænderne op igen. Når tænder slider mod hinanden, bliver de ved med det. Der skabes ikke automatisk et mellemrum, fordi der er noget, der er slidt væk.

- At øge bidhøjden er ikke altid hensigtsmæssigt. Ofte kan en bedre løsning være ortodontisk flytning af tænderne til deres ideelle position, så der skabes plads til restaureringerne, forklarer Morten G. Laursen.

Læg en grundig plan

Han understreger, at der forud for ortodontibehandlingen skal lægges en grundig plan for behandlingen og i nogle tilfælde i et tæt samarbejde mellem patienten, tandlægen og specialtandlægen.

- Det bedste resultat opnås, når der lægges en samlet plan, der både retter tænderne, genopbygger det tabte og sikrer, at resultatet kan vedligehol-

Deltag i sessionen

Du kan høre Morten G. Laursen og Peter Stoustrup fortælle om Ortodonti og Alignere

› Fredag den 13. marts

› Kl. 13:30

Der er nogle, som har så alvorligt et slid, at det er ved at være sidste chance, hvis deres tænder skal genoprettes

MORTEN GODTFREDSEN LAURSEN

des fremadrettet. Med udgangspunkt i en evidensbaseret tilgang kan vi tilbyde behandlinger, der ikke blot forbedrer æstetikken, men også bevarer og beskytter tænderne langt ud i fremtiden, siger Morten G. Laursen.

Ortodontien kan også bruges til forebyggelse, omend sammenhængen mellem bid og slid - og det forhold, at nogle tandstillingsfejl ser ud til at øge risikoen for slid - fortsat debatteres.

- Det er selvfølgelig en interessant sammenhæng. Faktisk ser man allerede, at unge med dybt bid og atypisk slid får tilbudt en tandregulering, og det sker på baggrund af en vejledning fra Sundhedsstyrelsen, fortæller Morten G. Laursen.

Hvad kan alignere?

Et relativt nyt og efterhånden udbredt redskab i ortodontien er alignere. De markedsføres massivt og bruges i stigende grad. Det gør det endnu vigtigere at forstå, hvad de reelt kan – og hvad de ikke kan.

Peter Stoustrup, som i lighed med Morten G. Laursen er specialtandlæge i ortodonti og har mange års erfaring som underviser og kliniker, vil på sessionen dele ud af sin viden om, hvordan man kan opnå flotte og funktionelle resultater med alignere.

Morten G. Laursen

› Specialtandlæge i ortodonti

› Aktivt medlem og sekretær i The Angle Society of Europe

› Director for The Aarhus International Short-Term Course in Orthodontics

› Afdelingstandlæge, Institut for Odontologi og Oral Sundhed - Sektion for Ortodonti, Aarhus Universitet

CALAJECT - din vej til skånsom bedøvelse

CALAJECT™ hjælper dig til at lægge en mere behagelig og skånsom bedøvelse. Det computerstyrede injektionssystem kontrollerer flowet i hvert program og sikrer en jævn og effektiv bedøvelse. Dette bidrager til øget patientkomfort og en mere tillidsskabende patientbehandling. CALAJECT™ er udviklet og produceret af RØNVIG Dental.

Besøg os på Årskursus Stand 107-108

Deltag i konkurrencen

Produktomtaler

Populære forbrugsvarer til Fast Lav Pris

Når du køber SIMPLEE-produkter hos Nordenta, er du sikret kvalitetsprodukter til Fast Lav Pris. Sortimentet består af de produkter, der anvendes allermest på klinikkerne, og der kommer løbende nye produkter i sortimentet.

Fast Lav Pris betyder, at alle klinikker - store som små - har samme lave pris, altid. Den favorable pris forudsætter ikke en rabataftale med Nordenta.

Se hele SIMPLEE sortimentet i SIMPLEE-kataloget, der netop er blevet opdateret med nye produkter. Scan QR-koden eller besøg nordenta.dk.

BIOLASE® lasere. Kom, se og prøv dem på vores stand

BIOLASE® er førende inden for dental laserteknologi og tilbyder løsninger, som kombinerer klinisk effektivitet med høj patientkomfort.

Nordenta Tlf. 87 68 16 11 www.nordenta.dk

Stand 12

EPIC X®. Kompakt og brugervenlig diodelaser til blødtvævsbehandling. Præcis vævskontrol, mindre blødning og hurtigere heling, ideel til bl.a. parodontal behandling, frenektomi, kirurgi og Low Level Laser Therapy (LLLT). Epic X effektiviserer arbejdsgange i klinikken.

Waterlase®, avanceret laser til både hårdt og blødt væv. Forenkler behandlinger, reducerer smerte og behov for bedøvelse, giver hurtigere opheling. Udvider dit behandlingsspektrum og forbedrer patientoplevelsen.

HEKA UnicLine S samt HEKA I opgraderes

Fra 1. marts 2026 vil både HEKA UnicLine S og HEKA I fremover blive leveret med den nye HEKA+ patientstol. Dermed leveres alle aktuelle HEKA-unitter med den nye generation af patientstole - til gavn for både tandlæge, team og patient. Den nye HEKA+ patientstol bidrager til en endnu mere helstøbt klinikoplevelse med fokus på komfort, ergonomi og et roligt, nordisk designudtryk. En klar styrkelse af den samlede

løsning - både klinisk og æstetisk.

Samtidig skifter UnicLine S og HEKA I farve til den samme moderne, rene hvide farve, som kendes fra HEKA+ unitter og den nye stol.

HEKA

Thomas Frismark van Nek Tlf. 43 32 09 78 tfn@heka-dental.dk

Cormalis ApS Tlf. 52 19 13 17 cg@cormalis.dk www.cormalis.dk

Stand 14

Årskursus 2026

Velkommen i Lokomotivværkstedet 13.-14. marts

Glæd dig til to dage med de nyeste tendenser og forskning, hands-on sessioner, debat, live-sessioner og nye vinkler på vores arbejdsliv!

Kom i dialog med udstillerne og få masser af faglig rådgivning!

ÅBNINGSTIDER

Fredag den 13. marts kl. 08.15 - 19.00*

Lørdag den 14. marts kl. 08.30 - 15.00

* Fredag aften fra kl. 17.00 til kl. 19.00 har du mulighed for at deltage i Tandlægeforeningens Social Hours, som afholdes i Lokomotivværkstedet. Der vil være mulighed for at nyde

STÆRKT LINE-UP AF FOREDRAGSHOLDERE

Programmet er spækket med nationale topnavne, der deler deres ekspertise og indsigt inden for odontologiens verden.

Tandtraumer:

Slå koldt vand i blodet – også ved de alvorlige tandtraumer

Når tandlæger står over for et tandtraume, er det afgørende at bevare roen og overblikket. Den første del af behandlingen - herunder at stille den korrekte diagnose - udgør fundamentet for hele det efterfølgende forløb.

Sæt tanden på plads

Tandtraumer forekommer hyppigt hos både børn og voksne. Omtrent hvert fjerde barn (23 %) får en traumatisk tandskade på de primære tænder, mens omkring 15,5 % af voksne oplever et traume på deres permanente tænder i løbet af livet.

Tandtraumer udgør dermed en betydelig klinisk udfordring og er noget, man som tandlæge vil møde i sin praksis med jævne mellemrum, siger tandlæge og ph.d.-studerende Josephine Solgaard Henriksen, og understreger, at kombinationen af omhyggelig diagnostik, rettidig intervention samt en struktureret langtidsplan og et tæt follow-up-forløb er afgørende for at sikre den bedst mulige prognose for patienten.

Ifølge Josephine Solgaard Henriksen er det essentielt, at tandlæger forstår de biologiske helingsmekanismer efter et tandtraume. En sådan forståelse giver bedre forudsætninger for at vurdere tandens helingspotentiale, risici for fremtidige komplikationer og i værste fald tandtab.

Afgørende er det dog, at man slår koldt vand i blodet, når man står over for en patient med et tandtraume, forklarer Josephine Solgaard Henriksen. Hun nævner et klassisk eksempel, hvor mange tandlæger desværre ikke følger de internationale guidelines:

- Har en permanent tand været helt ude af munden, bør tanden altid reponeres - også selv om der er gået lang tid, og risikoen for ankyloserelateret resorption således er høj. Ankylose vil føre til tandtab. Men patienten kan ofte bevare tanden i fem til ti ekstra år, før den mistes. Tanden fungerer således som en ‘midlertidig løsning’, indtil anden behandling bliver nødvendig.

Interdisciplinært samarbejde er nøglen

Behandlingen af større tandtraumer stopper sjældent med den akutte indsats. Mange patienter kræver et tæt og velkoordineret samarbejde mellem flere specialer og ekspertiser, fx endodonti, kirurgi, ortodonti og protetik. Ifølge Josephine Solgaard Henriksen er det tværfaglige samarbejde helt centralt: - Den akutte håndtering er vigtig, men det efterfølgende forløb kan være komplekst, og her er koordineret samarbejde afgørende for at sikre patienten den bedst mulige løsning både funktionelt og æstetisk, siger hun og fremhæ-

ver i den sammenhæng, at sessionen på Årskursus afvikles sammen med tandlæge Younes Alpanah, som har stor erfaring med endodonti-området.

Traumer og livskvalitet

I skrivende stund har Josephine Solgaard Henriksen netop afleveret sin ph.d.-afhandling ved Københavns Universitet om tandtraumer. En central del af hendes forskning har været at undersøge, hvordan større tandtraumer påvirker patienternes livskvalitet.

- Vi skal selvfølgelig altid stræbe efter det bedst mulige kliniske resultat. Men forskning viser, at patienternes livskvalitet i lige så høj grad afhænger af, om de er tilfredse med behandlingsresultatet, kommunikationen med tandlægen og hele behandlingsforløbet, siger Josephine Solgaard Henriksen.

Deltag i sessionen

Du kan høre Josephine S. Henriksen og Younes Alipanah fortælle om tandtraumer i et klinisk perspektiv

› Fredag den 13. marts

› KL. 14:00

Kom forbi Colosseum Tandlægerne på Tandlægeforeningens Årskursus

Deltag i vores konkurrence – se om dine ben kan trække flest kilometer. Vind fede præmier, og støt et godt formål: Vi donerer til DHWB baseret på deltagernes samlede indsats.

Hør, hvordan vores unikke organisationsmodel sikrer høj faglighed, kvalitet og faglig udvikling – og del erfaringer om at drive en succesfuld tandlægeklinik med mennesker og patienten i centrum.

Kom forbi os på stand nr. 1B

Hvordan tænderne formede mennesket

Tandsættets evolution fortæller historien om menneskets udvikling. Professor og direktør for Nationalmuseet, Rane Willerslev, vil tage Årskursus-deltagerne med på en rejse gennem tændernes historie.

Forarbejdningen af mad har været helt afgørende for menneskets udvikling - og den begyndte langt før ilden. De første værktøjer i menneskets madbearbejdning er tænderne. Tandsættet har gennem millioner af år ændret sig markant, og netop disse ændringer hænger tæt sammen med vores kost, kultur og kroppens udvikling.

– I takt med at mennesker begynder at forarbejde deres mad, først med tænderne og siden med ild, sker der store forandringer i kroppen. Når maden er lettere at tygge og fordøje, kan kroppen omdirigere energi fra de store tarme og de kraftige kæbemuskler til noget helt andet: nemlig hjernens vækst. Resultatet er mindre tarme, svagere kæber og et mindre, mere fint tandsæt, fortæller Rane Willerslev, professor i antropologi og direktør for Nationalmuseet.

Korn er en stor synder

En anden milepæl i tændernes historie er agerbrugets opståen for 8.0009.000 år siden.

– Her bliver korn en central del af menneskets kost, og når korn nedbrydes, bliver det til sukker - en af de største syndere i tandhistorien. Det fører til de første store tandproblemer i menneskets udvikling, og siden er vores tænder blevet dårligere. Det er først efter Anden Verdenskrig, at den moderne tandpleje for alvor tager fat og gør noget for tandsundheden, siger han.

Lørdag formiddag på Årskursus 2026 vil han - sammen med en hemmelig gæst - tage deltagerne med på en rejse gennem tandsættets historie, som ikke bare er historien om, hvad vi spiser, men historien om, hvem vi er blevet.

Rane Willerslev

› Rane Willerslev er professor i antropologi fra Aarhus Universitet.

› Han har en ph.d. fra University of Cambridge og en kandidatgrad i Visual Anthropology fra University of Manchester.

› Fra 2004 til 2006 var han lektor ved Granada Center for Visuel Antropologi ved University of Manchester.

› Fra 2008 til 2011 var han chef for de Etnografiske Samlinger på Moesgaard Museum.

› Fra 2011 til 2013 var han direktør for Kulturhistorisk Museum på Universitetet i Oslo.

Deltag i sessionen

Du kan høre Rane Willerslev og den hemmelige gæst under overskriften: Historien på hovedet - Tænder

› Lørdag den 14. marts

› Kl. 09.00

› Fra 2013 til 2017 ledede han det arktiske forskningsfokus på Aarhus Universitets Faculty of Arts og koordinerede den tværfaglige arktiske forskning på Aarhus Universitets Arctic Research Centre.

› Siden juli 2017 har han været direktør for Nationalmuseet.

› Han blev i 2006 og 2010 tildelt EliteForsk-prisen af Uddannelses- og Forskningsministeriet i Danmark.

AF KIM ANDREASEN

SHINING 3D – ELF SCANNER PÅ

Pris kr. 83.530,00 plus moms

Kom og prøv den på Tandlægeforeningens Årskursus 2026 stand 119

HVOR ERGONOMI MØDER EFFEKTIVITET

Denne kompakte, men kraftfulde intraorale scanner sætter en ny standard inden for digital tandpleje ved at tilbyde et letvægtsdesign uden at gå på kompromis med ydeevnen. Med forbedret hastighed, smart funktionalitet og enestående nøjagtighed giver Aoralscan Elf tandlægefaglige mulighed for at opnå strømlinede workflows, øget patientkomfort og fremragende kliniske resultater – helt uden besvær.

FJERLET DESIGN

Med en vægt på kun 106 g tilbyder Aoralscan Elf penlignende ergonomi, der sikrer komfortabel scanning uden træthed – selv under længere procedurer.

STRØMLINET TILSLUTNING

Et enkelt Type-C plug-and-play kabel eliminerer behovet for klodsede adaptere og sammenfiltrede ledninger, hvilket muliggør hurtig opsætning og problemfri drift.

FLEKSIBLE SPIDSMULIGHEDER

Leveres med tre udskiftelige scanningsspidser, så forskellige kliniske scenarier kan håndteres med lethed.

Parodontitis:

Kirurgi kan give et liv uden evindelige tandrodsrensninger

Kirurgisk behandling af parodontitis kan være gavnlig for flere patienter, end det typisk sker i dag. Det forudsætter dog, at tandlæger og tandplejere fra starten stiller den rette diagnose og kan identificere de patienter, hvor kirurgi kan bidrage til et bedre behandlingsresultat.

Mange patienter lever med kronisk parodontitis og ender i et langvarigt forløb med tandrodsrensninger og kontrolbesøg – ofte uden at opnå fuld stabilitet i sygdommen.

– Det kan være utilfredsstillende for både patient og tandlæge. Målet bør være at bringe patienten så tæt på rask som muligt, og ikke blot holde sygdommen nede, og her kan parodontalkirurgi i nogle tilfælde gøre en stor forskel, siger tandlæge Peter Dahl-Rasbech. Han arbejder som privatpraktiserende tandlæge med særlig fokus på kirurgisk behandling af parodontitis og modtager patienter henvist fra andre tandlæger til netop denne type behandling.

Tænder kunne være reddet Han oplever, at kirurgi i nogle tilfælde bliver tilbudt relativt sent i behandlingsforløbet.

– Det betyder, at enkelte patienter risikerer at miste tænder, som måske kunne have været bevaret. Parodontalkirurgi behøver ikke være det sidste skridt i et langt behandlingsforløb, men kan indgå som en integreret del

Målet bør være at bringe patienten så tæt på rask som muligt, og ikke blot holde sygdommen nede

af den samlede behandling af parodontitis, forklarer Peter Dahl-Rasbech.

Et centralt fokus er at få stillet den rigtige diagnose fra begyndelsen. Ifølge ham kan det være en udfordring at udpege de patienter, hvor kirurgi med rimelig sandsynlighed vil være en fordel.

– Her er det vigtigt, at tandlægen husker at ”tælle til seks”. Med det mener jeg, at hvis patienten efter initialbehandling har tandkødslommer på seks mm og blødning ved sondering, bør man overveje parodontalkirurgi, siger Peter Dahl-Rasbech og fortsætter:

– Derudover skal man naturligvis undersøge tanden korrekt – fx vitalitetsteste og eventuelt tage røntgen –for at sikre, at der ikke er andre forhold, som kirurgi ikke kan løse, fx en fraktur i rodoverfladen.

Slå et slag for regenerativ kirurgi

Det typiske kirurgiske indgreb foregår ved, at tandlægen udfører en incision i

tandkødet og skaber adgang til tandrødderne. Det giver mulighed for en grundig fjernelse af biofilm og calculus, hvorefter rodfladerne glattes, før tandkødet sys pænt på plads for at fremme helingen.

I nogle tilfælde af parodontitis kan man desuden benytte såkaldt regenerativ kirurgi, hvor specielle materialer kan stimulere parodontiet til at regenerere vævet og dermed genoprette tandens fæste. Målet er at reducere tandkødslommerne, skabe sunde parodontale forhold og forbedre prognosen på lang sigt. Den regenerative procedure har nemlig bedre langtidsprognose end den konventionelle PA-kirurgi.

– Regenerativ kirurgi er stadig ikke så udbredt, men metoden rummer et stort potentiale. Jeg vil gerne være med til at udbrede kendskabet, så endnu flere parodontitispatienter kan få glæde af den, siger Peter Dahl-Rasbech.

Deltag i sessionen

Du kan høre Peter Dahl-Rasbech fortælle om Parodontologi 2026. Nyeste behandlingsprincipper for PA – Hvornår skal jeg henvise?

› Lørdag den 14. marts

› Kl. 13.00

PETER DAHL-RASBECH

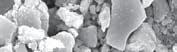
FARVE FRA LYSET UENDELIGT MANGE MULIGHEDER

Kan tydeligt ses på SEM-billedet: Perlestrukturen i OMNICHROMA sammenlignet med konventionelt knuste partikler.

Bis-GMA-fri formel: for bedre biokompatibilitet

Enkel lagerføring: blot 1 farve er nok til økonomisk bæredygtighed

Smart Chromatic Technology –1.000 hvide farver

Strukturelle farvenuancer uden kunstige farvepigmenter: tilpasser sig uden problemer til enhver tandfarve fra A1 til D4

Vareprøver & Mere tokuyama-dental.eu

Dybden af carieslæsionen bestemmer behandlingen

Gradvis ekskavering af en tand med caries er en skånsom teknik, som medfører færre pulpalæsioner og højere succesrater end den traditionelle ekskavering. Derfor er det vigtigt at kende den nøjagtige dybde af læsionen før behandling, siger professor Lars Bjørndal.

Det var i lang tid kutyme at behandle dybe cariesangreb ved at fjerne alt væv i tanden. Men i stedet for automatisk at gå til den løsning, er det blevet mere og mere almindeligt - og også underbygget af forskningen på området - at tandlægen kigger nærmere på røntgenbilledet for nøje at undersøge dybden af læsionen.

- Kan man foretage en mindre indgribende behandling i form af en gradvis ekskavering, vil det altid være at foretrække, siger Lars Bjørndal, der i sit virke på Odontologisk Institut på Københavns Universitet beskæftiger sig med cariologi og endodonti.

Han peger på, at hvis røntgenoptagelsen viser, at carieslæsionen er i kontakt med pulpa, eller hvis patienten har haft tandpine, er inflammationen i

pulpa ikke til at undgå. Her bør tandlægen ekskavere videre til perforation og udføre endodontisk behandling.

- Men i mange tilfælde kan man - hvis man analyserer røntgenoptagelsen nøje - undgå den fuldstændige ekskavering, også selv om caries er nået tre fjerdedele ind i dentinen. Er tanden vital og er der fortsat en veldefineret zone mellem caries og pulpa, er der indikation for at foretage en gradvis ekskavering.

Nye terminologier

Lars Bjørndal var i 2015 med i en international gruppe, som opdaterede de udtryk, som bruges, når man ekskaverer i forbindelse med behandling af caries. To begreber blev introduceret: nonselektiv ekskavering til hård dentin og selektiv ekskavering til blød eller fast dentin.

- Det var et forsøg på at tilpasse terminologien til den nye forståelse, at det er okay at efterlade et væv, som egentlig er karieret, og at tandlægen fremover skal planlægge sin behandling efter status af vævet i stedet for graden af infektion, forklarer Lars Bjørndal.

Kan man foretage en mindre indgribende behandling i form af en gradvis ekskavering, vil det altid være at foretrække
LARS BJØRNDAL

Deltag i sessionen

Du kan høre Lars Bjørndal og Azam Bakhshardeh fortælle om Hvor ”firkantet” må man være, når man behandler caries?

› Fredag den 13. marts

› Kl. 15.30

Har du rammerne til det tandlægeliv, du drømmer om?

Case: Harald Tandlægerne Støvring. En målrettet proces fra ældre lokaler til nyt moderne sundhedshus i Støvring.

Mød os på stand 81

Hos Harald Tandlægerne ser vi moderne fysiske rammer som fundamentet for det gode arbejdsliv. Men en transformation er en proces, der kræver omhu. Det er en langsigtet fælles rejse, hvor vi over tid udvikler og fremtidssikrer din klinik i et tempo, der passer til din praksis.

Vi investerer i fællesskabets udvikling, fordi vi ved, at de rigtige omgivelser styrker både patientloyalitet, rekruttering og trivsel. Som partner får du adgang til den ledelsesmæssige erfaring og det økonomiske fundament, der skal til for at planlægge og eksekvere et løft af din klinik – præcis som vi har gjort det i Støvring. Har du allerede flotte og moderne rammer, sikrer vi at klinikken fortsat udvikler sig.

Her får du friheden til at fokusere på din faglighed og teamet, mens vi sammen lægger strategien for din kliniks næste kapitel.

Besøg os på stand 81 på Årskurset og se flere eksempler på moderniserede klinikker og igangværende projekter.

Harald Tandlægerne – plads til din faglighed og fællesskab.

KONKURRENCE

VIND EN MINIFERIE FOR TO

Det kræver blot, at du svarer rigtigt på tre spørgsmål om Dentaljob.dk – og så lidt held.

Kom over til Dentaljob på Tandlægeforeningens stand på Årskursus 2026 og svar på spørgsmålene og læg dine svar i boksen. Vinderen får direkte besked og offentliggøres på Tandlægeforeningens Facebookside.

Hos Revisionshuset

Hos Revisionshuset

Tal

& Tanker ved vi, at tandlæger er noget særligt…

Tal & Tanker ved vi, at tandlæger er noget særligt…

Derfor nøjes vi ikke med at levere en årsrapport og en underskrift. Vi giver dig branchespecifik rådgivning, som du kan bruge til at optimere driften og økonomien i din klinik.

Derfor nøjes vi ikke med at levere en årsrapport og en underskrift. Vi giver dig branchespecifik rådgivning, som du kan bruge til at optimere driften og økonomien i din klinik.

Vi supplerer din årsrapport med:

Vi supplerer din årsrapport med:

Indtjenings- og omkostningsanalyser med konkrete fokuspunkter

Indtjenings- og omkostningsanalyser med konkrete fokuspunkter

Sparring om personale, overskudsdeling og skat (både privat og for klinikken)

Sparring om personale, overskudsdeling og skat (både privat og for klinikken)

Rådgivning om struktur, investeringer og fremtidige valg

Rådgivning om struktur, investeringer og fremtidige valg

Rådgivning om køb, salg og renovering af klinik

Rådgivning om køb, salg og renovering af klinik

Som noget helt særligt får du en 360° løsning. Det betyder, at vi også kan hjælpe din klinik med bogholderiet og lønadministrationen.

Som noget helt særligt får du en 360° løsning. Det betyder, at vi også kan hjælpe din klinik med bogholderiet og lønadministrationen.

Har du lyst til en uformel snak om din klinik og dine muligheder, kigger vi gerne forbi med en kage til kaffen.

Har du lyst til en uformel snak om din klinik og dine muligheder, kigger vi gerne forbi med en kage til kaffen.

mje@talogtanker.dk 93 97 27 41

mje@talogtanker.dk 93 97 27 41

Thomas Sloth Andersen

Skattejurist, cand.merc.jur. Leder af skatteafdelingen

Thomas Sloth Andersen Skattejurist, cand.merc.jur. Leder af skatteafdelingen

tsa@talogtanker.dk 25 30 32 51

tsa@talogtanker.dk 25 30 32 51

Læs mere

Antiresorptiv behandling:

Skal jeg behandle eller henvise?

Når man som tandlæge står over for en patient i medicinsk behandling for knogleskørhed eller kræft, og som dermed har risiko for at udvikle osteonekrose i kæberne, handler det først og fremmest om at vurdere, om man selv kan behandle, eller om patienten skal henvises til kæbekirurg i privat praksis eller på hospitalet.

Patienter med knogleskørhed eller patienter med forskellige former for kræft får ofte knoglestyrkende medicin - også kendt som antiresorptiv behandling. Begge patientgrupper er på grund af den medicinske behandling i øget risiko for at udvikle osteonekrose i kæberne. Derfor skal tandlægen være opmærksom på en række ting både før, under og efter behandling af en patient.

Sanne Werner Møller Andersen, specialtandlæge i kæbekirurgi, Afde-

Er tænderne bevaringsværdige, kan vi mange gange godt bevare tænderne ved at lave rodspidsoperationer
SANNE WERNER MØLLER ANDERSEN

ling for Kæbekirurgi, Rigshospitalet, er en af landets førende eksperter, når det gælder tandbehandling af patienter i medicinsk behandling for kræft eller knogleskørhed.

Hvem tager medicinen?

Hun fortæller, at når en patient får antiresorptiv behandling, er det vigtigt, at tandlægen løbende risikovurderer patienten og ud fra det afgør, hvilken behandling man selv kan klare, og hvornår patienten skal henvises videre til behandling hos en kæbekirurg i privat praksis eller på en kæbekirurgisk afdeling.

- Men allerførst skal vi identificere de patienter, som tager medicinen. Det kan være vanskeligt. Mange patienter ved ikke, at de får antiresorptiv medicin. Typisk er det ældre patienter, som får meget medicin, og de kan ikke identificere de enkelte typer. Andre tror ikke, at det har nogen betydning og siger det derfor ikke til tandlægen. Ofte fremgår medicinen heller ikke af Det Fælles Medicinkort - og hvis den gør, står der ikke altid, hvor lang tid patienten har fået medicinen, siger Sanne Werner Møller Andersen.

Fakta:

› Omkring 90.000 danskere skønnes at være i lavdosis antiresorptiv behandling for knogleskørhed.

› Højdosis antiresorptiv behandling ordineres til en række cancersygdomme med malignitet i knoglerne. Der er skønsmæssigt 6-8.000 personer i højdosis antiresorptiv behandling i Danmark. Alle er i moderat til høj risiko for at udvikle osteonekrose.

› Osteonekrose er en sjælden sygdom. For patienter, der tager antiresorptiv medicin, rapporteres en incidensrate på 2,53 pr. 10.000 patientår i en dansk undersøgelse.

› For kræftpatienter, der behandles med fx denosumab eller zoledronsyre (begge typer af antiresorptiv medicin), var fem-års-incidensen af kæbeosteonekrose omkring 5,7 % hos danske patienter.

Kilder: Osteoporoseforeningen, Region Hovedstaden, Kræftens Bekæmpelse og Tandlægebladet.

Patienterne kommer ofte med smerter og infektioner. De er ofte frustrerede over, at de er havnet i situationen, og de frygter tandtab

Følg styrelsens retningslinjer

Derfor gælder det om altid at spørge patienten om medicinforbrugog i øvrigt følge de anbefalinger, som Styrelsen for Patientsikkerhed har udarbejdet om behandlingen af patienter i antiresorptiv behandling. Og er der den mindste mistanke om eller tegn på osteonekrose i kæberne, skal tandlægen altid henvise patienten til en kæbekirurgisk afdeling på et sygehus, siger Sanne Werner Møller Andersen. Typisk skyldes de tilfælde af ”død knogle” - en almindelig brugt betegnelse for osteonekrose i kæbernesom kæbekirurgen på Rigshospitalet ser, at patienten har fået fjernet en

Deltag i sessionen

Du kan høre Sanne Werner Møller Andersen og Rasmus Kriegbaum fortælle om Antiresorptiv behandling

› Lørdag den 14. marts

› Kl. 10.15

tand, og at osteonekrosen har udviklet sig. Det kan også være opstået spontant eller efter en rodbehandling, dårligt tilpassede proteser eller omkring et implantat.

- Patienterne kommer ofte med smerter og infektioner. De er ofte frustrerede over, at de er havnet i situationen, og de frygter tandtab. Nogle føler, at de ikke er blevet ordentligt informeret om risikoen for osteonekrose i forbindelse med tandbehandling eller i forbindelse med opstart af antiresorptiv medicin, fortæller Sanne Werner Møller Andersen.

Gode behandlingsmuligheder Hun og hendes kolleger på landets kæbekirurgiske afdelinger har dog fine muligheder for at opnå gode behandlingsresultater.

- Behandlingen af patienter med osteonekrose har udviklet sig meget i løbet af de seneste år. Vi er gået fra næsten ikke at kunne behandle patienter til nu, hvor vi kan indsætte implantater. Er tænderne bevaringsværdige, kan vi mange gange godt bevare tænderne ved at lave rodspidsoperationer, som vi gør hos almindelige patienter, siger Sanne Werner Møller Andersen.

Mød os til Tandlægeforeningens Årskursus 2026

Kalder alle tandlæger! Kom og bliv klogere på, hvad du som tandlæge skal være særligt opmærksom på, når det gælder din økonomi – blandt andet, når det gælder køb og salg af tandlægeklinik.

Lån & Spars erhvervsafdeling deltager i Danmarks største tandfaglige begivenhed, Tandlægeforeningens Årskursus, som finder sted i Lokomotivværkstedet i København den 13.-14. marts. Du finder os på stand 110-111.

Ring 3378 2388 eller gå på lsb.dk/erhverv

Har du hørt

Tandlægeforeningens podcast?

I podcasten Odontoverset nørder vi odontologi og stiller skarpt på arbejdsliv, karriere og faglighed.

Find Odontoverset i din foretrukne podcast-app.

• Er den designet og produceret i Danmark?

• Er den bygget i aluminium og hærdet glas?

• Understøtter den optimal ergonomi?

• Er den fremtidssikret til nye behandlinger?

• Holder den i mere end 20 år?

• Og giver den mulighed for op til 7 års produktgaranti?*

Ofte er svaret nej. Derfor vælger mange en HEKA unit. Kvalitet, holdbarhed og gennemtænkte løsninger betaler sig i længden!

*Produktgaranti iht. Heka Dentals gældende garantibestemmelser.

REGNSKABER SKAL IKKE TRÆKKE TÆNDER UD

Med 56 dedikerede revisorer med langvarig erfaring fra tandlægebranchen, som står klar til at hjælpe dig både med regnskaber, klinikhandler og generationsskifte, så bliver det hverken pinefuldt at gøre årets regnskab op eller få proaktiv sparring på optimeringsmulighederne.

Med over 800 tandlæger som nuværende kunder, tør vi også godt sige, at vi kan gøre en økonomisk forskel for dig og din tandklinik.

Kontakt os i dag, og hør hvad vi kan gøre for dig eller se mere på arosrevision.dk

statsautoriserede revisorer

Turn static files into dynamic content formats.

Create a flipbook