7

Page 1


Біологія

Рекомендовано Міністерством

і

України (наказ Міністерства освіти і науки України від 05.02.2024 № 124)

Видано за рахунок державних коштів. Продаж

Підручник створено відповідно до модельної навчальної програми «Біологія. 7–9 класи» для закладів загальної середньої освіти (автори: Самойлов А. М., Тагліна О. В., Утєвська О. М.)

Б 93

видавництво

Біологія : підруч. для 7 кл. закл. загал. серед. освіти / [О. В. Тагліна, А. М. Самойлов, О. М. Утєвська, Л. В. Довгаль]. — Х. : Вид-во «Ранок», 2024. — 240 с. : іл.

ISBN 978-617-09-8768-6

Підручник

УДК 37.016:57(075.3)

Електронний

за QR-кодом або посиланням rnk.com.ua/106130

ISBN 978-617-09-8768-6

розширюючи можливості наукового пізнання. Власне, пізнання природи — це завжди

про інтерес, про розуміння важливого й про усвідомлення того, що життя потребує захисту й збереження. Заради миру, заради подальшої розбудови нашого світу, здобуття нових знань і примноження успіхів. Ознайомимося зі структурою підручника. Він складається з параграфів. Кожен із них починається з рубрики «Поміркуйте й обговоріть ситуацію», а закінчується рубриками «Опорні точки» — про головне в параграфі, «Запитання і завдання» — перевірка вивченого. Під час роботи в парі або групі не забувайте про взаємооцінювання результатів діяльності,

а також про самооцінювання.

У рубриках «Завдання», «Відкритий мікрофон» та інших ви можете висловитися щодо

різних питань, запропонувати власне бачення проблем та шляхи їхнього вирішення.

Відскануйте QR-код на початку підручника, і ви матимете доступ до електронних ресурсів, насамперед низки інтерактивних завдань. Окрім цього, за спеціальними QR-кодами

всередині параграфів ви зможете подивитися навчальні відеоролики, анімації, відеоуроки

Підручник

від провідних освітян і освітянок України, пограти в мобільні ігри. Це все

Поміркуйте

й обговоріть ситуацію

Але погляньте навколо.

У вашому класі точно є вікна.

Звичайне віконне скло і скляний

посуд з’явилися завдяки такій

галузі науки, як хімія.

Ваш мобільний телефон є

результатом відкриттів у фізиці.

Кожну людину після народження

щеплюють вакцинами, які захищають від таких страшних захворювань, як туберкульоз і кір. Цей захист

забезпечила нам наука біологія.

Як ви вважаєте, навіщо займатися наукою?

Підручниквидавництво

природи та прогнозують наступні події, явища та про-

Наука як система понять

Людину завжди цікавили живі організми.

Адже вони були і джерелами їжі, і об’єктами

небезпеки, давали змогу виготовляти корисні

предмети та будувати житло. Це було важливим для існування. Тому стародавні люди ретельно спостерігали за тваринами й рослинами, училися розпізнавати їх і правильно застосовувати ці знання на користь собі (мал. 1.1).

Наукові знання формувалися поступово. Люди збирали інформацію, узагальнювали, систематизували й класифікували її. І перевірене знання ставало науковим фактом. Так з’являлися наукові знання про властивості

Ссавці: а — леви, вид хижих ссавців із родини Котячих; б

морські ссавці групи Ластоногих

Академік Володимир

Робота в парі

видавництво

логіка фактів, точність і відповідність дійсності;

Підручник

1.2а–в тваринам?

власний приклад наукового та ненаукового знання

щоденного життя. Наукове поняття відбиває істотні властивості об’єктів і явищ. Воно є результатом тривалого процесу пізнання, його підсумком. Поняття розвиваються й уточнюються, бо наука накопичує нові наукові факти. Визначення понять зазвичай треба дивитися в довіднику.

природу, то

та хімію. Слід зазначити, що кожна наука користується як загальними науковими поняттями, так і такими, що притаманні саме цій науці. Скажімо, термін «дослідження» використовують усі науки. А поняття «фотосинтез» є суто біологічним.

Наукове дослідження — цілеспрямоване вивчення явищ, об’єктів і процесів із

метою здобуття переконливо доведених знань і їхнього використання в практичній діяльності людини.

Усі науки тісно пов’язані між собою. Вони формують єдиний науковий простір і дають змогу створити за допомогою наукових понять наукову картину світу.

Запитання і завдання

1. У чому особливість наукових знань? На чому вони ґрунтуються?

2. Уявіть, що ваш клас — давня цивілізація.

Які навички вам знадобляться для забез-

печення свого існування? Розподіліть між собою ролі за найпростішими професіями.

Які знання повинна була здобути тогочасна

Знайдіть

прикладів використання наукових знань у житті людей. Поясніть значення

Чому для розвитку людства

необхідні наукові знання?

Підручниквидавництво

людина, професію якої ви обрали?

3. Знайдіть

роботи.

Наука — це спосіб пізнання навколишнього

і доказах. Наука — це система понять. Визначення поняття пояснює сутність об’єкта, його структуру, функції,

Поміркуйте

й обговоріть ситуацію

Переглянувши розклад уроків, семикласник Богдан запитав

в однокласниці Олесі: «Із цього

різноманіття предметів тобі

що більше подобається: біологія чи фізика?». Олеся замислилася: «Як же я можу визначитися, коли не знаю, що ми будемо

вивчати?». «Знаєш, біологія

вивчає щось живе!» — заперечив

їй Богдан. «Гаразд, — сказала

Олеся, — тоді як відрізняти

живе від неживого? Ось хмара

за вікном рухається й змінює форму. Вона жива?». Богдан

не знав, що їй відповісти…

За якими ознаками ви

відрізняєте живе від неживого?

Зоологія —

наука, яка вивчає тварин: будову, розмноження, розвиток, походження та ін.

Біологія як наука

Біологія (біос — життя, логос — слово, наука) — це природнича наука, яка вивчає всю різноманітність живих організмів. Назву цієї науки на початку ХІХ ст. запропонував французький

Підручниквидавництво

Ботаніка —

наука, що вивчає рослини: будову, розмноження, розвиток, походження та ін.

Мікологія —

наука, яка досліджує

гриби як окрему групу живих організмів Схема

складається

цегли, так і жи-

вий організм побудований із клітин. Зазвичай

клітини мають надто малі розміри, щоб їх

можна було побачити без збільшувальних приладів, наприклад лупи. Утім, деякі клітини

все ж можна побачити й навіть доторкнутися

до них (мал. 2.1, 2.2).

Завдяки процесам живлення, дихання та виділення в усіх живих організмів відбувається обмін речовин та енергії. Він забезпечує

Дихання

Виділення

Виведення з організму кінцевих продуктів обміну

речовин, наприклад, вуглекислого газу та неперетравлених решток, сечової кислоти, води, солей

Підручник

Живлення Надходження поживних речовин із компонентами їжі, перетравлення та засвоєння організмом. Для життєдіяльності необхідні такі речовини, як вода, солі, білки, жири, вуглеводи та вітаміни

живих організмів характерні

вість, ріст і розвиток, регенерація, спадковість, мінливість і розмноження. Рух — ще одна властивість живого (мал. 2.3).

Подразливість — здатність організму реагувати на стимули (подразники). Ріст — збільшення розмірів або маси організму. Переважно ріст пов’язаний зі збільшенням кількості клітин унаслідок їх розмноження. Розвиток — зміни в організмі, пов’язані

їхньою втратою. Наприклад, після того, як яблуня виросте й досягне

Підручниквидавництво

Розмножуються не лише організми. Клітини також розмножуються шляхом поділу на дві нові клітини. Унаслідок поділу клітин їхня кількість збільшується. Поділи клітин забез-

Ба більше, розвиток ознак залежить від умов середовища існування.

кожен новий організм виявляється унікальним і відрізняється від інших.

Мінливість — це властивість

організмів існувати в різних

видавництво

Підручник

Unusual Ability of Salamander

The amphibious salamander can regrow a lost tail to full length. This process includes cell division to get lots of new cells in the wound. Then the cells join each other and slowly regenerate the tail within a few weeks. The finished tail is completely functional and has all the features of the original one, with the spinal cord and nerves growing back too. Moreover, salamanders can even regrow limbs. That’s amazing!

речовини (вода, мінеральні солі) й

речовини (вуглеводи, білки,

речовин, а також їхнє перетворення (хімічні реакції).

Популяційно-

Підручниквидавництво

Завдання

в житті людей. Поясніть значення цих прикладів, як здобуті знання змінили світ

і чому для розвитку людства

необхідні знання з біології.

Створіть мапу думок, постер

або плакат на тему важливості

біологічних знань. Презентуйте свої роботи однокласникам

і однокласницям. Поміркуйте

над тим, що вдалося / не вдалося вам. Оцініть сильні

й слабкі сторони своїх робіт

і робіт однолітків.

нижче переліку складіть схему компонентів власного організму, розташувавши їх у порядку

зростання рівнів організації. Компоненти: тканини; вода; солі; органи; молекули

органічних речовин; організм; клітини; системи органів. На яких рівнях організації живого можна вивчати організм людини?

Розв’язання проблемних питань і завдань із теми Живе відрізняється від неживого певними

1.

для організмів.

2. Чим рівні організації живого різняться між собою? Поясніть на прикладах.

3. Обговоріть ознаки живого на прикладі рослини, гриба чи одноклітинного організму. Чи притаманні цим організмам такі властивості живого, як рух і подразливість?

видавництво

4. Використовуючи події сьогодення, доведіть, що біологічні

5.

Підручник

Структура екосистеми

Слово «система» перекладається з грецької, як «сполучення», «ціле» або «з’єднання». Будьяка система складається з окремих частин — компонентів, що об’єднуються, впливають один

на одного й залежать один від одного. У системі всі частини взаємопов’язані (мал. 3.1).

Окрема система може бути компонентом більшої системи. Наприклад, наша планета

Земля є системою. Але вона також є компонентом більшої системи, яка має назву Сонячна система. Сонячна система є компонентом значно більшої системи, галактики, яка має назву Чумацький Шлях.

Система — сукупність взаємопов’язаних компонентів, які утворюють єдине ціле.

Підручниквидавництво

Слово «екосистема» складається з двох слів. Перше — це грецьке слово «ейкос», яке означає місцеперебування, або житло. Друге слово — «система». Тобто це система, у якій

Поміркуйте й обговоріть ситуацію

словосполучення, у яких є слово «система»: Сонячна система,

комп’ютерна система, система

освіти, соціальна система, жива система. Що є спільного у всіх наведених понять? Чи можна

назвати вашу школу системою або елементом (частиною) якоїсь іншої системи?

Органічні речовини (сахароза)

Анімація «Фотосинтез» rnk.com.ua/106238 Розгляньте

які взаємодіють між собою таким чином, що

видавництво

називають продуцентами (англ. a producer — виробник). До продуцентів належать рослини, водорості та деякі бактерії (схема 5), що мають здатність здійснювати процес фотосинтезу, тобто використовувати для живлення сонячну енергію.

Відкритий мікрофон. «Що я знаю про процес фотосинтезу?» (за мал. 3.2).

Підручник

Утворені продуцентами органічні речовини використовуються іншими організмами. Оскільки ці організми є споживачами готових

органічних речовин, їх називають консументами (англ. a consumer — споживач).

До консументів належать тварини, гриби та багато бактерій. Наприклад, гусінь живиться листям продуцентів-рослин. Вона є консументом першого порядку. Так називають усіх рослиноїдних тварин. Коли пташка з’їдає гусінь, тобто живиться консументом першого порядку, цю пташку вже називають консументом другого порядку, і так далі. Таким чином в екосистемах утворюються ланцюги живлення, або харчові (трофічні) ланцюги (слово «трофе»

у перекладі з грецької означає «харчування», «їжа»). Приклад трофічного ланцюга: рослина — попелиця — дятел — яструб. Або ще один варіант харчового ланцюга (схема 6). ПРОДУЦЕНТИ

— вид ціанобактерій

Підручниквидавництво

взаємопов’язані види організмів, де кожен попередній вид є їжею для наступного: продуцент (пшениця, зерно) → консумент

1-го порядку (миша) → консумент 2-го порядку (гадюка) → консумент

3-го порядку (змієїд).

Відеоролик «Продуценти, консументи, редуценти» rnk.com.ua/106239

Завдання

Підручниквидавництво

STEAM-проєкт «Дизайн штучної екосистеми "Акваріум"»

Теплова енергія

Теплова енергія

Редуценти (бактерії, гриби)

Теплова енергія

Схема 7. Колоообіг речовин та енергії

Підручниквидавництво" Ранок"

в групі Інтенсивне природокористування призводить до значного зменшення площі лісів, луків, степів тощо. За даними міжнародної організації FAO (Продовольча та сільськогосподарська організація ООН), площа лісів щорічно зменшується на 4,7 млн га (2020 р.). Запропонуйте способи розв'язання «кризи продуцентів» на сучасному етапі розвитку людства. Що б ви могли зробити для збалансованого природокористування?

Другий трофічний рівень. Консументи першого порядку

Сонця Перший трофічний рівень. Продуценти

Мал. 3.3. Екологічна піраміда

Третій трофічний рівень. Консументи другого порядку Підручник

rnk.com.ua/101660

rnk.com.ua/106240 Харчові зв’язки, потоки енергії та колообіг речовин

— це графічне зображення структури екосистеми, яка показує число особин або біомасу органічної речовини кожного трофічного рівня.

Правило екологічної піраміди

Взаємодії

ор-

ганізмів, які є основою для функціонування екосистем (схема 8). Чим міцніші й різноманітніші такі взаємозв’язки,

Поміркуйте

й обговоріть ситуацію

На ваш організм діють різні чинники довкілля. Наприклад, літом може бути спекотно.

У відповідь на підвищення температури ви починаєте пітніти. Після перебування на сонці з’являється засмага. Чому відбуваються такі зміни? Як вони допомагають пристосуватися до сонячної та спекотної погоди?

Індивідуальна робота

Розгляньте світлини й наведіть приклади

біотичних і антропогенних факторів.

Екологічні фактори

Екологічний фактор (чинник) — умова середовища існування, яка впливає на життєдіяльність організмів та їхні угруповання.

Аби екологічні фактори було зручно вивчати, учені поділили їх на групи.

Підручниквидавництво

Перша група — це абіотичні фактори, тобто фактори неживої природи: температура, освітленість, атмосферний тиск, вологість повітря, хімічний склад води.

група

. Це вплив одних живих організмів на інші. Організми, які належать до одного виду, здійснюють внутрішньовидові взаємодії, наприклад, конкурують між собою. Організми різних видів — міжвидові взаємодії. Здійснюють вплив і ті залишки, що надходять від живих істот або організмів, які вже померли. Третя група — антропогенні фактори, які пов’язані з такою діяльністю людини, що впливає на живі істоти та середовище їхнього існування. «Антропогенний» перекладається, як «породжений людиною». Будівництво, видобуток корисних копалин, сільське господарство, промисловість — уся ця діяльність людства впливає на живу природу. Адаптації живих істот до дії екологічних факторів Слово «адаптація»

спрямовані

тепловіддачі. Для цього, зокрема, розширюються

ні судини шкіри, відбувається потовиділення, дихання стає частішим.

Адаптації до холоду забезпечують зменшення тепловтрат. Кровоносні судини шкіри звужуються, організм посилює обмін речовин, продукуючи тепло. Якщо цього тепла не вистачає, то починається мимовільне скорочення

підшкірних м’язів, а енергія цього скорочення

перетворюється на тепло. У ссавців є густе хутро, а в птахів — пір’яний покрив, які зберігають навколо тіла прошарок повітря та

зменшують тепловіддачу (мал. 4.1).

Рослини теж мають адаптації до спеки й холоду. До низьких температур рослини пристосовуються завдяки скиданню листків і потовщенню шару кори. За умов підвищення температури рослини можуть посилювати випаровування води листками, збільшувати швидкість фотосинтезу й дихання.

Популяція та її характеристики У природі кожний біологічний вид складається з окремих угруповань — популяцій. Організми, що входять до складу популяції, добре адаптовані саме до умов середовища території мешкання. Так, окремі популяції

видавництво

рослин одного виду можуть бути адаптованими до різної вологості, складу ґрунтів, температурних умов.

Велике значення для виживання популяції

має її чисельність — загальна кількість особин у популяції. Вона

Підручник

(англ.

— це сукупність особин одного виду, які тривалий час населяють певну територію, відтворюють себе впродовж значної кількості поколінь і є відносно ізольованими від інших таких угруповань.

"

Мал. 4.2. Бізон європейський, або зубр

Завдання «Структура популяції оленів у лісі» rnk.com.ua/106897

(мал. 4.2). Чисельність

залежно від смертності

ність — це кількість особин, які з’явилися в популяції (народилися, вилупилися з яйця, проросли з насіння та ін.) за одиницю часу (за покоління, за рік). Смертність — це кількість особин, що загинули за одиницю часу. Практична робота «Порівняння

Банан — найважливіша культура тропічного землеробства

Банани — це трав’янисті рослини

стовбура. Корені в них міцні, а листові пластинки великі

рослина із розвиненою тканиною, яка запасає воду в листках, що мають захисний шар жирів і восків на поверхні. Корені агави отримують вологу з різних джерел: дощу, конденсату або роси.

Сніжна красуня

Полярна лисиця живе в тундрі, у приполярних районах Північної півкулі. Її тіло приземкувате, вуха маленькі,

підошви лап покриті жорстким волоссям.

Узимку вона має біле забарвлення,

а влітку — буре. Такі зміни ніколи не спостерігаються в інших видів лисиць.

Полярна лисиця всеїдна, у її раціоні є

і рослини, і тварини. Наприклад, дрібні

гризуни (лемінги), птахи, риба, ягоди чорниці, трави, водорості (морська

капуста). Щоосені велика кількість

південь. Навесні вони повертаються.

Підручниквидавництво

Поміркуйте й обговоріть ситуацію

Свого часу людство не знало, чому виникають такі особливо

небезпечні хвороби, як чума, холера, натуральна віспа.

Збудники цих захворювань

були настільки дрібними, що їх не можна було побачити

неозброєним оком. Здавалося, якщо людина не бачить чогось

на власні очі, того не існує.

Але з часом «те, чого не існує» вдалося побачити після винаходу спеціальних приладів. Що це за прилади? Завдяки яким наукам вони з’явилися?

Підручниквидавництво"

найскладніші з них дають збільшення в сотні тисяч

Поділіться своїми думками

Розгляньте збільшувальні прилади. Які з них вам знайомі? З якою метою люди їх використовують? Людям яких професій необхідні збільшувальні прилади? Навіщо вони ними користуються?

Ранок"

під час написання текстів. Галілео Галілей уперше створив збільшувальну трубу з лінзами високої якості для збільшення тексту. Саме його винахід згодом назвали мікроскопом.

Слово «мікрос» перекладається з грецької, як

«малий», а «скопео» — «дивлюся».

Англійський натураліст Роберт Гук досліджував, із яких частинок складаються різні

живі об’єкти. Для цього він удосконалив будову

мікроскопа (мал. 5.1). 1665 року Р. Гук уперше

побачив на зрізі кори дерева, що вона утворена з великої кількості комірок, які нагадують сторінку шкільного зошита в клітинку. Роберт Гук назвав їх клітинами (англійською — cells). Назва «клітина», яку вперше вжив Роберт Гук, збереглася до наших днів.

Відкритий мікрофон. Прочитайте текст про людину, яка

Antonie van Leeuwenhoek lived in Delft. He worked as a draper and sold cloth at his own shop. To inspect a quality of fabrics drapers used magnifying glasses. In 1668 van Leeuwenhoek learned to grind lenses for this reason. He used them to make simple hand-held microscopes to check the fabrics. Inspired by clear and bright images under his microscope he started to explore water, soil, blood and other objects under it. Van Leeuwenhoek was the first who observed an invisible world of bacteria and different microbes. British biochemist Nick Lane wrote that Leeuwenhoek was «the first with the power to see».

Цитологія —

це біологічна наука, що вивчає клітини,

особливості їхніх

структур і функцій.

Довідка. Завдяки узагальненням, які зробили Маттіас Шлейден і Теодор Шванн, було доведено, що клітина є основною одиницею будь-якого організму й що клітини тварин, рослин і бактерій мають схожу будову.

Анімація «Різні типи мікроскопів» rnk.com.ua/106241

організмів, у першій половині XIX сторіччя Маттіас

, згідно з якою клітина є основною структурною та функціональною одиницею живого. Так з’явилася нова біологічна наука, яка дістала назву «цитологія». Грецьке слово «цитос» перекладається, як «ємність», «клітина», а «логос» — «слово», «наука». Щоб подивитися, як побудовані живі організми на мікроскопічному, тобто на клітинному, рівні, ми будемо користуватися сучасними оптичними мікроскопами (мал. 5.4).

Револьвер

Використовують для зміни

об’єктивів різного збільшення

Об’єктив

Містить лінзу, яка збільшує зображення об’єкта на препаратах у 8, 10, 20, 40 чи 100 разів

Предметний столик

Підручниквидавництво

Мал. 5.4. Будова

1. Приготуйте цибулю,

це, препарувальну голку, пінцет, склянку з водою та піпетку.

2. У чашку

3. Відріжте невеликий шматочок цибулини (мал. 5.5б). За допомогою пінцета та препарувальної голки відокремте шкірку

4.

Підручниквидавництво

5.

Мал. 5.6. Такий вигляд має

Мал.

Підручник

6.

Для дослідження дуже малих

органел клітини, бактерій і вірусів — використовують спеціальні електронні мікроскопи, що дозволяють збільшити зображення до 2 мільйонів разів. Отримані знімки завжди чорно-білі, проте їх можна зробити кольоровими за допомогою фоторедакторів.

Однак у цих мікроскопів є недолік: неможливість спостереження живих організмів і їхнього руху. Це можна зробити лише завдяки світловій мікроскопії (мал. 5.8).

Використовуючи спеціальну техніку приготування препаратів, під електронним мікроскопом можемо побачити різні бактерії (мал. 5.9)

і навіть молекулу ДНК — носія спадкової інформації!

Мал. 5.8. Робота з електронним мікроскопом Мал.

мікроскопа

видавництво

Запитання і завдання

1. Яке практичне значення має вивчення клітин і розвиток науки цитології?

Підручник

2. Знайдіть інформацію та дізнайтеся, з якою метою використовують мікроскопи ювеліри, лікарі-хірурги, реставратори та мистецтвознавці. Подумайте, люди яких іще професій використовують мікроскопи.

3. Розрахуйте

4.

Поміркуйте

й обговоріть ситуацію

Світловий мікроскоп, яким ви користуєтеся, є чудовим приладом, за допомогою якого можна побачити дуже маленькі структури й об’єкти. Але якщо

ви просто покладете на предметний столик свій палець, щоб з’ясувати, з яких

клітин він складається, то нічого

не побачите! Як ви думаєте, чому? Як саме треба підготувати

об’єкт для дослідження, щоб у світловому мікроскопі

можна було розглянути його

клітини?

видавництво

3. Якщо препарат треба фарбувати, то на зріз наносять піпеткою фарбу. Наприклад, на

Підручник

По-перше, у рослинної клітини є ядро, яке ви вже бачили у

попередніх дослідженнях (мал. 6.2).

Організми, у клітинах яких є ядро, називають еукаріотами. Грецьке слово «еу» перекладається як «добре», «повністю», а «каріон» — ядро. Тобто еукаріоти — це організми, у клітинах яких є ядро, на відміну від клітин прокаріотів, у котрих ядра немає. Латинське слово «про» означає «до», «замість». Тобто прокаріоти — доядерні організми. У бактерій, наприклад, ядра немає, вони є прокаріотами. Оскільки клітини рослин мають ядро, то вони є еукаріотами.

Еукаріоти — це одноклітинні й багатоклітинні організми, у клітинах яких є ядро. Це рослини, тварини, гриби та різні од-

ноклітинні організми, котрі мають ядро.

Прокаріоти — це одноклітинні організми, у клітинах яких немає ядра. Прокаріотами є бактерії.

Розгляньте уважно мал. 6.3 і

видавництво

Поділіться своїми думками

Підручник

ядер. Розгляньте мал. 6.3 та 6.4

і пригадайте, що ви вже знаєте про бактерії. Аргументовано

поясніть, які саме організми можна називати прокаріотами / бактеріями.

" Ранок"

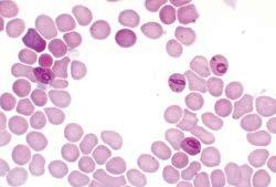
Еритроцити крові людини

Мал. 6.6.

Мал. 6.7.

Мал. 6.8.

Підручниквидавництво

живлення рослинного організму (мал. 6.6). Розташовані вони в зелених частинах рослин. Хлоропласти містять хлорофіл (від грецького слова «хлорос» — «зелений» і «філон» — «лист»). Хлорофіл — зелений пігмент, який поглинає світло й виконує важливу роль у процесі фотосинтезу. • Хромопласти — пластиди, які зафарбовують у червоний, помаранчевий чи жовтий колір частини рослин (плоди, пелюстки). У цих органелах накопичуються каротиноїди (англ. carrot — морква), які й надають відповідного забарвлення коренеплодам моркви, плодам помідорів, болгарського перцю чи цитрусових (мал. 6.7, 6.8).

• Лейкопласти — безбарвні пластиди.

може утворюватися й запасатися вуглевод крохмаль. Крохмаль — основна запасна речовина рослинної клітини (мал. 6.9).

Під клітинною стінкою міститься власне клітина, яка вкрита тонкою ліпідною

плазмою. Цитоплазма складається з цитозолю (в’язкого розчину неорганічних та органічних речовин у воді) та

6.9.

мікроскопа. Порівняйте реальне

Підручниквидавництво

Мал. 6.10.

Підручниквидавництво

життєдіяльності. Для злагодженої роботи

різні компоненти, які відповідають за виконання окремих функцій. Такими структурами є органели клітини. Наприклад, зовнішня мембрана, яка відокремлює вміст клітини від навколишнього

ся в тексті? Яку функцію

Чому ця функція є важливою для рослинних клітин?

Functions of plasmodesma

Еvery plant cell is surrounded by a cell wall. Plasmodesmata are microscopic channels which traverse the cell walls of plant cells, enabling transport and communication between them.

Запитання і завдання

1. Які органели клітини рослин ви можете побачити у світловому мікроскопі?

2. Які органели притаманні лише рослинним

клітинам? Чому? Назвіть їх та охарактеризуйте.

3. Чим відрізняються хлоропласти, хромопласти й лейкопласти рослинної клітини?

Які їхні властивості?

4. На основі малюнка внизу створіть макет

клітини рослини з підручних засобів (аплікацію, кольоровий малюнок чи об’ємну модель). Презентуйте свої роботи однокласницям і однокласникам. Поділіться

враженнями від робіт, які виконали й презентували ваші однолітки. Яка робота вам найбільше сподобалася? Чому?

Nucleolus

Mitochondrion

Plasmodesmata

Chloroplast

Vacuole

Nucleus

Golgi appartalus

Cytoplasm

Особливостями будови клітин рослин є наявність пластид (хлоропластів,

Поміркуйте й обговоріть ситуацію

Ви вже знаєте, що в екосистемі формуються так звані ланцюги живлення (трофічні ланцюги). Усі ланцюги, які ви будували, виконуючи завдання, починалися з рослин. Наприклад: пшениця → → миша → гадюка → змієїд.

Чому ланцюги живлення можуть

починатися з рослин, але не можуть починатися з тварин?

Перед тим як ми продовжимо досліджувати рослини, дайте відповіді на такі запитання.

• Із яких речовин складаються рослини та інші

пересмажити на пательні? Чому?

• Як рослини отримують необхідні для них речовини?

Підручниквидавництво

Будь-який живий організм має отримувати енергію,

рухатися, пристосовуватися, розмножуватися. Що ви

використовують рослини?

ристовують тварини?

перетворюється на енергію хімічних

є продуцентами.

Мал. 7.1. Енергія сонячного світла перетворюється під час фотосинтезу на

зв’язків органічних сполук

Оскільки рослини можуть самостійно здійснювати синтез необхідних для них органічних речовин, то їх називають автотрофами. Давньогрецьке слово «автос» перекладається як «сам», а слово «трофе», як ви вже знаєте, — «їжа», «живлення». Автотроф — це той, хто «сам живиться». Джерелом енергії для автотрофів може бути сонячне світло або

енергія, що вивільняється внаслідок певних перетворень простих неорганічних

Фототрофи — це організми, які

використовують енергію світла для забезпечення життєдіяльності.

Автотрофи — це організми, які самостійно утворюють органічні речовини з неорганічних.

Підручниквидавництво" Ранок"

Фотосинтез —

це процес утворення органічних речовин із неорганічних сполук за допомогою енергії світла. Для утворення вуглеводів організмам необхідні вуглекислий газ і вода.

Підручниквидавництво

як і будь-який інший, складається з неорганічних речовин:

неральних солей, а також органічних речовин: вуглеводів, ліпідів (жирів), білків, нуклеїнових кислот (ДНК та РНК) та багатьох інших.

1. Сформулюйте мету, завдання та план дослідження. Обґрунтуйте вибір об’єкта.

2. Підготуйте необхідні матеріали для вирощування рослин у стаканчиках.

3. Придбайте доступне мінеральне добриво

кімнатних рослин.

4. Після проростання рослин розподіліть їх на групи: контроль і дослід. Дослідні рослини поливайте водою, у яку

інструкцією додано добриво. Контрольні рослини поливайте водою без добрив.

5. Через рівні проміжки часу (3, 6, 9 та 12 днів) вимірюйте висоту пагона та робіть світлини рослин

6. Наприкінці досліду вийміть рослини

Підручник

не пропускає світло, і виставте рослину на кілька годин

його в гарячий спирт. Листок знебарвлюється, а спирт стає зеленим, бо в ньому розчиняється хлорофіл. Безбарвний листок промийте водою й полийте слабким розчином йоду. Ви вже знаєте, що йод використовують для розпізнавання крохмалю. Йод забарвлює крохмаль у синій колір.

забарвлюється лише та частина листка, яка була освітлена. Зробіть висновок. Обґрунтуйте його. Увага! Дотримуйтеся

мінеральні речовини та воду, а з повітря отримують вуглекислий газ. Із цих речовин у зеленому листку відбувається утворення крохмалю під час фотосинтезу. При цьому рослини виділяють кисень у повітря.

Запитання і завдання

1. Які органели та які особливості живлення рослин свідчать про те, що вони є фототрофами?

2. Наведіть приклади тих джерел енергії, які живі організми можуть використовувати для здійснення процесів життєдіяльності.

Підручниквидавництво

3. Чи може рослина рости в закритій камері

доступу повітря? Чому?

4. Порівняйте

5.

Поміркуйте

й обговоріть ситуацію

Уявіть, що є на світі чарівник, який може змахнути чарівною

паличкою — і всі рослини

на нашій планеті враз зникнуть.

Спрогнозуйте, що буде

відбуватися далі. Які процеси

припиняться? Яким чином

завдяки цьому буде змінюватися

жива й нежива природа?

Обґрунтуйте свої думки.

Сонце

Фотосинтез

Рослини —

автотрофи (продуценти)

Процес

споживання

Тварини — гетеротрофи (консументи)

Мал. 8.1. Рослини-продуценти

забезпечують існування інших

видавництво

організмів, які є консументами

Підручник

живляться (мал. 8.1).

рослини

суходіл, океани, моря, прісноводні водойми, мають безліч пристосувань до умов навколишнього середовища, формують різноманітні зв’язки з іншими організмами: бактеріями, тваринами, грибами. Різні форми співіснування видів живих організмів називають симбіозом. Слово «симбіоз» грецького походження, його можна перекласти, як «із живим», тобто йдеться про співіснування живих істот різних видів. Таке життя разом і є симбіозом. Рослини живуть у симбіозі з багатьма видами найрізноманітніших

біозу отримує певну

формувати

відносини з різними організмами, що мешкають разом із ними в екосистемах. Наприклад, взаємовигідними є відносини квіткових рослин із комахами, які здійснюють процес запилення цих квіткових рослин (мал. 8.3). Існує взаємовигідне співіснування між бобовими рослинами та бульбочковими бактеріями, які мешкають на їхніх коренях.

Мутуалізм — це форма співіснування різних видів організмів, яка

видавництво

Підручник

Завдання

Маки — типові рослини українського степу. Вони

не витримують сильних морозів.

Проте деякі полярні маки

пристосувалися до життя у фінській тундрі. Запропонуйте

гіпотезу, яка пояснює, як цим рослинам удається виживати на Крайній Півночі.

Підручниквидавництво

угруповань створюється свій мікроклімат. Наприклад, середньорічна температура в лісі нижча, а вологість повітря вища, ніж на територіях поряд, які не покриті лісом. Рослини позитивно впливають на якість повітря, бо вони очищують його, поглинаючи велику кількість забруднювальних речовин.

Робота в групі Розгляньте світлини. Знайдіть необхідну інформацію й дайте відповіді на запитання.

• Які наслідки зменшення біорізноманіття рослин для екосистем?

• Чому для існування екосистем

сферу, атмосферу й літосферу (схема 10).

Саме завдяки ціанобактеріям і водоростям

атмосфера Землі, яка тривалий час була безкисневою, змінила свій хімічний склад і стала такою, якою ми її знаємо сьогодні. Вони здійснювали фотосинтез, виділяли при цьому

кисень, який накопичувався в атмосфері. Із часом він став дуже поширеним газом на планеті (мал. 8.5).

Сучасні водорості та рослини забезпечують

підтримку такого рівня кисню в атмосфері, який є необхідним

Підручниквидавництво

видавництво

Підручник

фотосинтезу поглинають

(схема 11).

Планетарна роль рослин визначається

тим, що вони спільно

Усе це з’явилося завдяки фотосинтезу, який здійснювали рослини минулих епох. Відкритий мікрофон. Майже третина всієї суші

Підручник

лісами, у яких мешкає половина відомих людям видів тварин. Поясніть, чому саме

є комфортною

Водорості та вищі рослини відіграють важливу роль в екосистемах, бо вони утворюють органічні сполуки. Вони є продуцентами й основою

Підручниквидавництво

Водорості

Запитання і завдання

1. Поясніть, як впливають рослини на оболонки планети

2. Завдяки яким процесам кисень із часом став дуже поширеним газом на планеті? Назвіть ці процеси.

3. Поміркуйте, яким чином рослини протидіють накопиченню вуглекислого

4.

"

людиною

Водорості та їхнє різноманіття

Більшість водоростей живуть у водних екосистемах: у солоній воді морів і океанів, у прісній воді рік, озер, ставків, калюж. Деякі види водоростей пристосувалися до життя на суходолі: на поверхні ґрунту, кори дерев, каменях, частіше — у вологих місцях. Водорості мають тіло, не розділене на органи, його називають талом, або слань. Водорості є еукаріотами, тобто в їхніх клітинах присутнє ядро. Вони мають хлоропласти для фотосинтезу. Існують одноклітинні, колоніальні й багатоклітинні водорості.

Бурі водорості

Діатомові

водорості

Одноклітинні та колоніальні

організми, мають оболонку

із двох стулок, які накладаються одна

на одну, як кришка на коробку. До її складу

входить кремнезем — речовина, з якої складається пісок і скло. Найпоширеніші мікроскопічні

водорості океанів і прісних водойм. Представники: пінулярія, навікула, мелозіра

Підручниквидавництво

Червоні водорості Переважно багатоклітинні морські організми. Запасають

Багатоклітинні морські

організми, до поверхні

субстрату прикріпляються ризоїдами, запасають вуглевод ламінарин. Розміри талому

до 60 метрів. Формують підводні «ліси» в прибережній зоні морів, створюючи особливі екосистеми. Представники: ламінарія, фукус, саргасум ламінарин. Розміри талому

ВОДОРОСТІ

Довідка. Існує окрема наука — альгологія, яка вивчає водорості. Схема 12. Водорості

Забарвлення слані від пурпурового

слані від пурпурового до червоного завдяки додатковим пігментам фотосинтезу

філофора, кораліна, родименія

Зелені водорості Одноклітинні, колоніальні та багатоклітинні організми. Рухомі, нерухомі, у вигляді ниток чи пластинок. Запасають крохмаль. Населяють різноманітні середовища: солоні та прісні

водойми, ґрунти, камені, льодовики, гарячі джерела.

Представники: хламідомонада, хлорела, улотрикс, спірогіра, ульва, вольвокс

Ульва

Поділіться своїми

думками

(схема 12, с. 51)

і дайте відповідь на запитання: «Чому, попри різне еволюційне

походження, усі водорості мають багато спільного?».

продуцентами органічних речовин і постачальниками атмосферного кисню Землі. Разом із ціанобактеріями вони створили передумови для появи наземних рослин і тварин.

Водорості — основа екосистем водойм, початкова ланка харчових ланцюгів. Вони — пожива для риб, ссавців, молюсків, ракоподібних тварин і укриття для морських мешканців.

Щороку водорості завдяки фотосинтезу утворюють сотні мільярдів тонн органічної речовини, виділяють в атмосферу велику кількість кисню й поглинають вуглекислий газ.

Людина використовує водорості в різних сферах життя. Так, із часом панцирі діатомових водоростей осідають на дно, утворюючи шар діатомітів (мал. 9.1). Легкі й пористі діатоміти використовуються в багатьох галузях промисловості. Наприклад, для виготовлення легкої цегли, як наповнювачі фільтрів для очищення рідин, як ізоляційні матеріали.

Водорості використовують також у їжу та на корм худобі (мал. 9.2). Із бурих водоростей

одержують альгінову кислоту. Без цієї речовини неможливо зробити морозиво, бо вона допомагає отримати однорідну масу й перешкоджає утворенню льоду.

Морські водорості — цінне джерело різних мікроелементів, вітамінів та амінокислот.

Підручниквидавництво

витяжки з них використовують

Ламінарію ще

«морською капустою», а

східній медицині — «морським женьшенем». Вона росте в північних морях. Ламінарія накопичує такий мікроелемент, як Йод. Його вміст у водорості сягає 3 %. Дізнайтеся, для профілактики якого

видавництво

1. Які умови необхідні для вирощування?

2. У якій місцевості доцільно організовувати таке виробництво?

3. Яке устаткування для цього необхідне?

4. Які напрями переробки та збуту отриманої сировини?

5. Чи доцільно таке виробництво організувати на території вашої громади? Доведіть свою думку. Проєкт «Практичне використання водоростей

Підручник

Вихід рослин на суходіл

Водорості добре пристосовані до життя у водному середовищі. Вони поглинають із

води мінеральні речовини, кисень і вуглекис-

лий газ усією поверхнею свого тіла. Оскільки

вода підтримує тіло водоростей, то їм не потрібна внутрішня опора. У водному середовищі

їм не загрожує висихання. На відміну від водного середовища, суходіл не є таким комфортним. На суші вода швидко випаровується, організмам загрожує висихання. Існує проблема з транспортом речовин і підтриманням вертикального розташування тіла, бо на суходолі не діє виштовхувальна сила води, яка підтримувала тіло водоростей. Водорості виділяли кисень, який із води потрапляв в атмосферу. З атмосфери у воду надходив вуглекислий газ,

фотосинтезу. Завдяки фотосинтезу водорості

змінили склад атмосфери: вона збагатилася киснем. Із цього кисню в атмосфері утворився захисний озоновий шар, який затримує шкідливі космічні промені. Саме тому й з’явилася

видавництво

можливість виходу рослин на суходіл. Рослини пристосувалися до наземно-повітряного середовища завдяки появі в них тканин і органів. Покривні тканини захищають рослину від висихання,

Підручник

Поділіться своїми думками

" Ранок

світил». Користуючись цією думкою В. Вернадського,

"

The first land plants were rhyniophytes. They are a group of extinct vascular plants found in fossils dated around 420 to 390 million years ago. They lacked leaves and true roots. There were a simple vascular and dermal tissues in rhyniophytes. These plants grew around terrestrial bodies of water.

ління. Нестатеве покоління для розмноження утворює спори, тому таку рослину називають «спорофіт». Спора

тина для нестатевого розмноження. Із клітини спори розвивається гаметофіт. Спочатку на гаметофіті формуються статеві органи, а потім у

утворюються гамети

статеві клітини: жіночі — яйцеклітини та чоловічі — сперматозоїди.

25 тис. видів рослин, у життєвому циклі яких переважає гаметофіт. Переважає — означає, що більшу частину свого життя мох представлений рослиною-гаметофітом. Мохи є невеличкими за розмірами рослинами, які зростають щільними групами (мал. 10.2).

Гаметофіт мохоподібних має покривні й основні тканини, що здійснюють фотосинтез.

У більшості є ризоїди — ниткоподібні утворення, які слугують для прикріплення до поверхні й поглинання води. Спорофіт має ніжку, на якій розміщена коробочка з кришечкою. Спорофіт у

не існує самостійно,

Підручник

чергувань нестатевого й статевого поколінь. Гаметофіт, або статеве покоління, — це рослина, яка розмножується статевим способом, утворюючи гамети (статеві клітини). Спорофіт, або нестатеве покоління, — це рослина, яка утворює спори для розмноження нестатевим способом.

3.

видавництво" Ранок"

Спора — це вкрита оболонкою спеціальна клітина для нестатевого розмноження.

Гамета — статева клітина.

зиготу. Зигота проростає

на материнській рослині, розвиваючись у спорофіт, який живиться за рахунок гаметофіту. У коробочці спорофіту формуються спори, які після дозрівання розсіваються, проростають і дають початок

Підручниквидавництво

"

ж років тому серед них були деревні рослини, які пізніше вимерли (мал. 10.4). В Україні трапляються баранець і селагінела (мал. 10.5), а у хвойних лісах росте плаун булавовидний. Пагони цих рослин укриті дрібними листочками. У плауна булавовидного спори утворюються в спороносних колосках на верхівках пагонів (мал. 10.6). Потрапивши

у вологий ґрунт, вони проростають і утворюють гаметофіт невеликих розмірів.

Колись плауни відігравали важливу роль у наземних екосистемах. Вони взяли участь в утворенні покладів кам’яного вугілля. Сьогодні їхнє значення невелике. Спори плаунів використовують як дитячу присипку,

видавництво

Підручник
Мал. 10.5.

Мал. 11.1.

Поміркуйте й обговоріть ситуацію

Існує повір’я, що на Івана Купала цвіте папороть, але квітка з’являється лише на одну мить.

За легендою, людина, яка знайде цю квітку, отримає неймовірні здібності, зможе розуміти мову будь-якої істоти та бачити заховані в землі скарби.

видавництво

Вайя — це пласка

гілка, яка має листки.

Вайї наростають

не основою, а верхівкою.

Але цю квітку ніхто ніколи так і не знайшов.

Поясніть, чому знайти квітку папороті неможливо.

Деякі папороті опанували навіть водне середовище, наприклад, марсилія, азола й сальвінія (мал. 11.1, 11.2).

Папоротей нараховується близько 12 тис. видів. Вони відрізняються наявністю великих, часто пірчастих, пласких гілок із листками, які мають назву вайї (мал. 11.3). Спорофіт папоротей у

Підручник

" Ранок"

розміру, яка має ризоїди — ниткоподібні утворення, що слугують для прикріплення до субстрату та живлення (мал. 11.5). На нижній стороні гаметофіту утворюються статеві органи, у яких формуються гамети.

Чоловічі гамети (сперматозоїди) мають джгу-

тики й пливуть до яйцеклітин, розміщених на інших гаметофітах. Це можливе лише за наявності води в навколишньому середовищі.

Після запліднення сперматозоїдом яйцеклітини утворюється зигота, із якої розвивається новий спорофіт (мал. 11.6). Тож гаметофіт папороті пристосований до існування у вологих умовах, а спорофіт

Спорофіт, який проростає на гаметофіті

Яйцеклітина

Сперматозоїди

1.

2.

3.

6.

Підручниквидавництво

(мал. 11.10). Вугілля

хвощі можуть сягати й декількох метрів (хвощ гігантський).

Відомо більше 30 видів хвощів, поширених на кислих ґрунтах, вологих луках, уздовж берегів річок і водойм. В Україні трапляються хвощ польовий, хвощ лучний, хвощ лісовий, хвощ болотний.

Стебла хвощів просочені кремнеземом, що робить їх дуже жорсткими. Жодна тварина їх

не їсть! Значення сучасних хвощів у природі невелике. Проте прадавні хвощі відіграли

важливу роль в утворенні кам’яного вугілля.

Мал. 11.11. Літні (а) та

Багато хвощів є індикаторами кислих ґрунтів, бо вони можуть рости на таких ґрунтах. Робота в парі Розгляньте й порівняйте

якого відходять надземні стебла. Вони здійснюють фотосинтез, бо листки спростилися

у вузлах. У хвощів бувають пагони двох типів: літні — розгалужені й зелені, і весняні — бурі (мал. 11.11). На весняних пагонах формуються стробіли, у яких дозрівають спори. Зі

Підручник

(б)

Поміркуйте

й обговоріть ситуацію

Ви вже дещо знаєте про спорові рослини. Відомо, що їхня рідня, тобто давні папороті, тривалий час панували на Землі. Але сьогодні ми вже не бачимо

лісів кам’яновугільного періоду.

Сучасна планета належить іншим рослинам — насінним.

Як ви вважаєте, які фактори

призвели до вимирання

папоротеподібних рослин?

Які особливості життєвого циклу

могли призвести до їхнього

масового зникнення?

запас поживних речовин

подальшого розвитку.

Живуть ці гаметофіти за рахунок спорофіту,

вони утворюють насіння й розмножуються саме ним. Їхня внутрішня

ва більш досконала,

у

спорових (мал. 12.1, 12.2). Насінні рослини мають добре розвинені тканини

(мал. 12.3).

Покритонасінні, або Квіткові.

Голонасінні рослини

Голонасінні — давні рослини, бо їхні представники, що нині вимерли, зростали ще в кам’яновугільних лісах разом із деревоподібними папоротями, плаунами та хвощами.

видавництво

Гаметофіти в голонасінних рослин розвиваються в жіночих і чоловічих шишках, використовуючи поживні речовини, утворені спорофітом (мал. 12.4). Там вони надійно захищені від висихання та інших пошкоджень. У чоловічої

Підручник

Довідка. Голонасінні рослини — це переважно дерева, зрідка трапляються чагарники та ліани, а трав’янистих рослин серед них немає. Найбільшими за чисельністю видів і поширенням серед голонасінних є хвойні рослини. До Хвойних належать сосна, ялина, модрина, ялиця, кедр, кипарис, ялівець (схема 13).

Завдання

Середня ТЕС за один рік викидає в атмосферу 500 т пилу.

Відомо, що один гектар хвойних дерев затримує близько 1250 кг пилу на місяць. Обчисліть

мінімальну площу хвойного лісу (га), який необхідно посадити

навколо ТЕС для очищення повітря.

усередині якого формується зародок спорофіту наступного покоління. Життєвий цикл голонасінних забезпечує їхнє пристосування до життя на суходолі, бо процес запліднення не залежить від води.

Коли жіноча шишка дозріває, вона відкривається, і насінини лежать на лусках шишки нічим не прикриті. Саме завдяки цьому голонасінні й дістали свою назву.

Підручниквидавництво

Різноманіття хвойних рослин Назва хвойних рослин

Індивідуальна робота Розгляньте світлину. Підготуйте

повідь про секвої, їхні особливості та значення.

Майже в усіх хвойних рослин у коренях, стеблах і листках є смоляні ходи, у яких міститься

бальзам — суміш летких ароматичних речовин і смоли. Бальзам витікає в разі пошкодження кори, а речовини, які є в ньому, убивають бактерії.

Найвідомішою хвойною рослиною є сосна.

Вона може сягати висоти 50 м і більше. Це світлолюбні рослини, тому їхні нижні гілки, на які падає мало світла, часто відмирають, і крона розташовується далеко вгорі. Тож у соснові ліси (бори) проникає багато світла.

Насіння сосни дозріває два роки після запилення. Навесні третього року шишки розкриваються, і насіння легко розноситься вітром завдяки крильцям.

Ялина, на відміну від сосни, дуже тіньовитривала рослина, нижні гілки в неї не відпадають. Крона ялинки має пірамідальну форму з гілками, що звисають майже до землі. Ялинові ліси густі й темні, у них похмуро

й прохолодно.

Ялиця — велике дерево, більше 50 м заввишки, із темно-зеленою хвоєю. Вона тіньовитривала й холодостійка. В Україні ялиця росте

в Карпатах. Із кори й молодих гілок ялиці

отримують бальзам, ароматичні речовини, а з насіння — олію.

Підручниквидавництво
" Ранок"

Крона — це система

пагонів деревних

рослин.

Хвоя — листки

голонасінних рослин,

які мають голчасту

або лускоподібну

форму.

на ягоди. Після запліднення луски жіночих шишок розростаються та стають м’ясистими. Потім вони зростаються між собою, утворюючи соковиту ґулю, що нагадує ягоду. Ялівець повільно росте, характерний своїм довголіттям. Відомі рослини, які досягли віку 1000 років.

Знайдіть інформацію й виконайте

Хвойні рослини зазвичай вічнозелені.

Виняток становлять декілька рослин, які є листопадними.

Коли в V–IX століттях будувалася Венеція, це дерево було використане для зміцнення основ споруд,

і виявилося, що його деревина має

великий запас міцності та стійкості

до несприятливих впливів. Що це за дерево? Як його використовують?

Поділіться своїми

думками

Ви, напевно, прикрашали на Різдво хвойне дерево. Яка це була рослина: сосна

чи ялина? Чим ялина

Підручниквидавництво

відрізняється від сосни

що вони мають спільного?

Дослідження будови пагонів і шишок хвойних рослин

Мета: дослідити будову пагонів

2.

3.

4.

Різноманіття голонасінних Голонасінні — дуже різноманітні. З-поміж

них є рослини, зовсім не схожі на хвойні. Ми розглянемо три голонасінні рослини, які суттєво відрізняються одна від одної: саговник, ефедру та вельвічію.

Саговники — рослини тропічних і субтропіч-

них зон (мал. 12.6). На верхівці стовбура в них розташовується крона з великого перистого листя. Це робить їх зовні схожими на пальми. Високі та товсті стовбури саговників містять

багато води, тому вони дуже важкі. У корені й серцевині стебла саговників у тканинах, що запасають воду, відкладається багато крохмалю, який місцеве населення використовує

в їжу.

Ефедра — чагарник, що росте в пустелях, напівпустелях і степах (мал. 12.7). Листки в ефедри дрібні й лускаті. У їхній шкірці мало продихів. Луски шишок після дозрівання насіння стають соковитими й набувають яскравого забарвлення: червоного, помаранчевого або жовтого. Деякі види ефедри використовуються як лікарські рослини.

Вельвічія, багаторічне дерево-довгожитель, росте в кам’янистих пустелях Західної Африки (мал. 12.8). У неї коротке стебло, основна частина якого занурена в ґрунт. Від верхівки стебла відходять два широких супротивних шкірястих листки.

Вельвічія дивовижна — єдина з відомих рослин, у якої листя

Намібії, держави на південному заході Африки. Індивідуальна робота

Підручник

"

Підручниквидавництво

Голонасінні, особливо хвойні, поширилися по всій Земній кулі. Ліси, утворені хвойними рослинами, називають тайгою. Вона займає великі території в Північній півкулі. Деревина хвойних необхідна в будівництві, целюлозно-паперовій промисловості (мал. 12.9). З неї виділяють багато цінних речовин (смолу, леткі ароматичні речовини). Вона є паливом, сировиною для хімічної промисловості. Із хвойної деревини виготовляють пластмасу, штучний шовк, лаки, фарби, деревний спирт. А які чудові меблі, музичні інструменти, посуд, скриньки, іграшки виходять із рук майстрів!

руйнування у воді, тому

роблять шпали, кріплення в шахтах,

галузях харчової промисловості та в парфумерії.

Голонасінні, насамперед хвойні, — дуже красиві рослини. Їх висаджують як декоративні в парках, скверах, на вулицях (сосни, ялиці, блакитні ялинки, кипариси).

Запитання і завдання

" Ранок"

1. Завдяки яким пристосуванням насінні рослини стали найпоширенішими

Тканини рослин

Тіло Покритонасінних рослин розділене на

окремі органи й має велику поверхню, яка

потрібна для фотосинтезу й мінерального живлення. У рослин такі поверхні утворюються за рахунок листків і коренів. Аби сформувати

великі поверхні, організму рослин треба довго рости. Саме тому рослини здатні до необмеженого росту впродовж усього життя.

Поміркуйте й обговоріть ситуацію

Покритонасінні рослини мають складні за

будовою органи, які утворюються з різноманітних тканин. Тканина — це група клітин, що мають подібну будову та виконують спільні функції. Науковці поділяють тканини рослин

на дві групи: твірні й постійні тканини. Твірні тканини беруть участь у процесах росту та регенерації рослини. Вони розташовані

на верхівках пагонів і коренів, утворюють шар

камбію в стеблі (мал. 13.1). Твірні тканини верхівок пагонів і коренів забезпечують ріст рослин у довжину, а камбій — у товщину (мал. 13.2).

видавництво

Постійні тканини можуть бути різними. Покривні — захищають рослину від випаровування, механічних пошкоджень, проникнення мікроорганізмів, забезпечують обмін речовин із навколишнім середовищем. Механічні тканини рослин виконують опорну й захисну функції. Провідними тканинами здійснюється транспортування речовин тілом рослини.

Існує два види провідної тканини: ксилема та флоема. Ксилема розташована в деревині, вона складається із судин — тонких трубочок із клітинних стінок

Покритонасінних рослин виконує багато функцій: здійснює фотосинтез, дихання і транспорт речовин, протистоїть силі тяжіння, захищається від висихання, запасає органічні сполуки, розмножується тощо. Як йому це вдається? Завдяки чому стає можливим таке різноманіття функцій?

Підручник

Судини ксилеми

" Ранок"

Механічна тканина Камбій Флоема

Вода й мінеральні речовини

Мал. 13.3.

Головний

корінь

Бічні

корені

Додатковий корінь

існування?

Будова кореня Корінь — осьовий підземний

Підручниквидавництво

Мал. 13.4. Види кореневих систем:

стрижневою (мал. 13.4а). Якщо

можна розрізнити головний корінь, її називають мичкуватою (мал. 13.4б). Така система утворена додатковими коренями. Стрижневу кореневу систему мають горох, капуста, морква, кульбаба, а мичкувату — пшениця, жито, рис, цибуля, часник.

Розв’язання проблемних

Зона росту розміщена на кінчику. Вона складається з твірної тканини, клітини якої постійно діляться, забезпечуючи ріст кореня в довжину (мал. 13.6).

Зовні зона росту вкрита кореневим чохликом, який захищає її ніжні клітини.

Над зоною росту розміщується зона поглинання. Зовні розташована покривна тканина, клітини якої утворюють вирости — кореневі волоски. Саме кореневі волоски забезпечують

поглинальну функцію кореня. Вище кореневих волосків починається зона проведення. Вона найдовша, бо простягається аж до стебла. Тут корінь укритий корком і всмоктування майже не відбувається.

13.6.

1.

2.

3.

кореневій системі деяких рослин відкладається багато поживних речовин, тому розвивається запасальна тканина, що сприяє потовщенню коренів. Якщо потовщується головний корінь, утворюються коренеплоди (буряк, морква, редис), якщо потовщуються бічні або додаткові корені, — кореневі бульби (жоржини, батат). У тропічних лісах деякі рослини, наприклад, орхідеї, ростуть на стовбурах дерев.

видавництво

Підручник

Пагін — це осьовий надземний орган рослин, складається зі стебла з розташованими на ньому листками й бруньками. Стебло — вісь пагона, а листки — його бічні органи. На пагоні утворюються квітки й плоди. Стебло пов’язує всі надземні та

сприятливих умов. Усередині бруньки розташовані зачаткове стебельце й зачаткові листочки. Верхівку зачаткового стебельця називають конусом наростання. Він складається з твірної тканини, яка забезпечує ріст пагона в довжину. У деяких рослин, окрім верхівкового росту, спостерігається ще вставний ріст за рахунок твірної тканини, яка розміщена в кожному

вузлі.

видавництво

Розрізняють два типи бруньок: вегетативні та генеративні. Вегетативні складаються лише із зачаткового стебельця й листочків, а генеративні мають ще й зачатки квіток. Листки, а разом із ними й бруньки, розташовуються на стеблі в певному порядку. Листкорозміщення може бути черговим, супротивним і кільчастим (мал. 14.2). При черговому

Підручник

"

повзучі, виткі, чіпкі (мал. 14.3). У більшості рослин стебла прямостоячі (клен, липа, соняшник, кукурудза).

Стебла, які лежать на землі й можуть укорінюватися у вузлах за допомогою додаткових коренів, називають повзучими (барвінок, жовтець повзучий, суниця).

Стебла, які обвивають опору й піднімаються по ній, називають виткими (квасоля, берізка польова, хміль, тропічні рослини — ліани).

Чіпкі стебла мають різні пристосування: вусики, причіпки, за допомогою яких прикріплюються

необхідно знати не лише його зовнішню, а й внутрішню

Підручник

року камбій знову відкладає в бік деревини великі судини. Таким чином, весняна

деревина стикається з осінньою. Вони різні за щільністю, тому між ними видно межу у ви-

гляді кілець. Такі кільця називають річними (мал. 14.4).

За кількістю річних кілець на спиляному стовбурі дерева можна визначити його вік.

Залежно від зовнішніх умов (волога, температура) розмір кілець кожного року може відрізнятися. Тож можна уявити ті умови, у яких росло дерево в певний рік свого життя.

Видозміни пагона Для виконання спеціальних функцій пагони можуть видозмінюватися. До видозмін надземних пагонів належать, наприклад, колючки й вусики. Колючка є здерев’янілим укороченим пагоном без листків із гострою верхівкою. Переважно вони захищають рослини від поїдання тваринами. Колючки є в дикої сливи, крушини проносної, дикої груші, гледичії й глоду. Вусики — це пагін без листків,

завдяки йому рослина чіпляється за додаткову

видавництво

опору. Вусики мають виноград, гарбуз, кавун, диня, огірок. До надземних видозмін пагона належать також вуса суниці та стеблові бульби кольрабі.

Підручник

Підземними видозмінами пагонів є

Поділіться своїми

думками

Одна з

видозмін пагона

це кореневище. Ознайомтеся з особливостями його будови на с. 77. Які переваги надають рослинам кореневища? Чому вони такі «популярні»? Наведіть якомога більше прикладів для аргументації.

Прилистки

Черешок

Листкова пластинка

Стебло

Мал. 14.5. Зовнішня будова листка

Підручниквидавництво

соковиті листки із запасом поживних речовин, які розчинені в клітинному соку вакуолі. Зверху цибулина вкрита сухими лусками, які виконують захисну функцію. Цибулини утворюються в цибулі, часнику, лілії, тюльпана. Надземними видозмінами пагона є м’ясисті стебла кактусів, у тканинах яких запасається вода. Зовнішня будова листка Листок — це орган, який здійснює фотосинтез і транспірацію (випаровування води). Листки різноманітні за розміром і формою, але більшість із них складається з двох основних частин: листкової пластинки та черешка (мал. 14.5). Листкова пластинка частіше має пласку форму для вловлювання світла. Листок прикріплюється до стебла за допомогою черешка. Іноді листки не мають черешків, тоді вони прикріплюються до стебла пластинкою. Такі листки називають сидячими (алое, волошки). Листки можуть бути простими та складними. Якщо черешку відповідає одна листкова пластинка, такий листок називають простим, а якщо дві або більше — складним (мал. 14.6). На листках багатьох

(пше-

Зверху й знизу листок укритий шкіркою, яка захищає його від висихання. Шкірка має продихи, крізь які відбуваються газообмін і випаровування води (транспірація). Між верхньою й нижньою шкірками розташовані клітини, що мають хлоропласти. Під верхньою шкіркою розміщується шар трохи витягнутих клітин. Це стовпчаста тканина. Вона є основною фотосинтезуючою тканиною. Під нею — губчаста тканина з багатьма міжклітинниками. Ця тканина виконує функції фотосинтезу та

газообміну. У м’якуші листка видно жилки, які виконують у листку провідну та опорну функції.

Видозміни листків

Листки можуть видозмінюватися й виконувати додаткові функції.

У деяких рослин, що ростуть у посушли-

вих умовах, листки мають водоносну тканину. Такі листки накопичують воду в період дощів та економно її витрачають під час посухи. Вони товсті й соковиті, як, наприклад, в алое (мал. 14.9).

У барбарису деякі листки перетворилися на

колючки й виконують захисну роль — охороняють рослину від поїдання її тваринами. Листки стають і вусиками, за допомогою

1.

2.

3. Складіть таблицю, що містить інформацію про видозміни

4. Дослідіть будову бульби картоплі. Яким частинам пагона

зменшують площу випаровування й цим захищаються від

висихання. У більшості рослин помірного клімату листки живуть

один сезон і опадають на зиму.

У вічнозелених рослин теж

опадає листя, хоча й поступово.

Скидаючи листя, рослини також

позбуваються накопичених шкідливих речовин.

1.

2.

3. Задокументуйте результати досліджень (фоточи відеозйомка).

4. Складіть таблицю або графічно презентуйте результати й висновки

1. Навіщо рослинам потрібні

2. Чим відрізняються

Будова квітки

На відміну від голонасінних, у яких чо-

ловічий і жіночий гаметофіти розвиваються

в шишках, у Покритонасінних рослин з’явився

новий орган для розмноження — квітка. Саме тому їх іще називають Квіткові рослини.

Квітка — це видозмінений укорочений пагін

з обмеженим ростом. Квітки прикріплюються

до стебла за допомогою квітконіжки, на верх-

на сніданок? Якщо це були каша, хліб, какао чи кава або підсмажена на олії яєшня, то більшість поживних речовин ви отримали з насіння та плодів покритонасінних рослин.

ньому кінці якої розташоване розширення —

квітколоже. На ньому розміщуються частини квітки: чашолистки, пелюстки, тичинки

точка (мал. 15.1).

Пиляк

Тичинка

Тичинкова нитка

Пелюстка

Чашолисток

видавництво

Ви здогадуєтеся, що вони накопичують їх не для вашого сніданку? Навіщо ж рослини запасають білки, жири

Підручник

Приймочка

Стовпчик

Маточка

Зав’язь

Насінний зачаток

Квітколоже

Квітконіжка

Чашолистки утворюють чашечку. Вона зазвичай зелена, тому в чашолистках відбувається фотосинтез. Чашечка захищає внутрішні частини квітки до розпускання бутона. Пелюстки утворюють віночок, який

" Ранок"

15.1. Будова

Робота в групі Знайдіть інформацію про незвичні квітки рослин: найбільші, найменші, рідкісні, дивні, унікальні тощо. Зробіть свій перелік із п'яти таких прикладів. Презентуйте ваш рейтинг у вигляді інфокартки: світлина

всередині, а якщо вони яскраві, то й приваблюють до квітки комах (мал. 15.4). Основні події статевого розмноження відбуваються всередині квітки, бо саме там розміщені головні її частини — тичинки й маточки. Сукупність тичинок є чоловічою частиною квітки. Сукупність маточок є жіночою частиною квітки.

Тичинки складаються з тичинкових ниток, на верхньому кінці яких розташовані пиляки (мал. 15.5). Квітки рослин розрізняються за кількістю, розмірами та формою тичинок. У пиляках дозрівають пилкові зерна, або пилок. Пилкові зерна мають тверду оболонку й можуть бути різної форми. Їхня оболонка часто

з’єднує

приймочку із зав’яззю — нижньою розширеною частиною маточки (мал. 15.7). У квітках різних рослин може бути одна

або кілька маточок. Усередині зав’язі маточки

можуть бути один або кілька насінних зачатків. У центрі насінного зачатка формується зародковий мішок — це жіночий гаметофіт. Він

дуже маленький і складається всього із семи

клітин. Насіння із насінного зачатка утворюється після запліднення. Статеве покоління рослини розміщене всере-

дині квітки. Сама рослина є нестатевим поколінням. Насіння захищене стінками зав'язі маточки. Звідки й назва групи — покритонасінні.

Дослідження

Матеріали та обладнання:

їхні моделі; лупа; препарувальна голка; пінцет.

Хід роботи

1. Ознайомтеся із зовнішньою

2.

Довідка. Для зручності використовують умовні записи: формули

Підручниквидавництво

3.

• коноплі

двостатевими (вишня, яблуня, тюльпан). Але трапляються й одностатеві квітки, у яких

квітки містять

тичинки, інші

маточки. Перші називають тичинковими, або чоловічими, квітками, інші — маточковими, або жіночими. Якщо тичинкові та маточкові квітки розташовані на одній рослині, такі рослини називають однодомними (огірок, кукурудза), а якщо тичинкові та маточкові квітки розміщені на різних рослинах, — дводомними рослинами (верба, тополя). Будова плода Після запліднення зав’язь розростається, і з неї утворюється плід, а насіння, що розвивається із насінних зачатків, розміщене всередині плода. Іноді в утворенні плода беруть участь і інші частини квітки (квітколоже, чашолистки, пелюстки).

Плід складається з оплодня та насіння. Оплодень утворюється зі стінки зав’язі.

захищає

шкідливих впливів і бере участь у поширенні цього насіння (мал. 15.8).

Роль і значення Квіткових рослин

Підручник

в екосистемах Покритонасінні рослини перетворюють енергію сонячного світла на енергію поживних речовин, яку можуть використовувати в процесі життєдіяльності всі гетеротрофні організми. Крім того, вони виділяють кисень, необхідний для дихання всіх живих організмів. Покритонасінні (Квіткові) рослини перевершують усі інші вищі рослини не лише за площею,

1.

Горіх (фундук)

Збірна кістянка (малина)

2.

3.

Зернівка (кукурудза)

Стручок (гірчиця)

Сім’янка (соняшник)

Коробочка (мак)

Біб (квасоля)

Суничина (полуниця)

Кістянка (слива)

між ними спільного? Чому кавун не ягода, а окремий тип плоду — гарбузина?

4. Ґрунтуючись на будові, класифікації

і своїх знаннях, запропонуйте спосіб поширення плодів таких рослин, як малина, горіх, соняшник, виноград, фундук, мак, груша.

5. Запропонуйте варіанти використання

зображених рослин, зокрема, гірчиці, соняшника та сої (біб),

видавництво

6. Презентуйте результати

Підручник

rnk.com.ua/106893

2.

3.

Поміркуйте

й обговоріть ситуацію

У процесі еволюції найбільш успішними рослинами на планеті стали квіткові рослини, а найбільш успішними тваринами — комахи. Їхні

успіхи були одночасними.

Сьогодні ми часто спостерігаємо

комах і квіткових рослин

поряд. Як ви вважаєте, у яких

відносинах перебувають

Комахи та Квіткові рослини

в екосистемах?

Пристосування Покритонасінних рослин до життя на суходолі

Покритонасінні, або Квіткові, рослини є найпоширенішими в рослинному світі. Це понад 290 тис. видів, які пристосувалися до найрізноманітніших умов наземно-повітряного середовища. Які ж пристосування допомагають

Підручниквидавництво

середовищі й стали такими різноманітними та повсюдними.

А комахи отримали чудову рослинну їжу — нектар. Саме комахи вплинули на формування основних органів Покритонасінних рослин, передусім квітки та суцвіть. Суцвіття — це група квіток, розташованих на видозміненому стеблі в певному порядку близько одна до одної. Суцвіття мають перевагу над поодинокими квітками, оскільки велика маса квіток є більш помітною для комах-запилювачів. Окрім того, квітки в суцвітті розпускаються не одночасно, що додатково збільшує шанси на запилення.

Робота в парі

1. Розгляньте зображені прості суцвіття (мал. 16.1) та зверніть увагу на:

• наявність квітконіжок чи їхню відсутність (сидячі квітки);

• довжину квітконіжок, а також ширину та форму головної осі суцвіття;

• закономірності розташування квіток.

2. Розгляньте зображені складні суцвіття (мал. 16.2) та зверніть увагу на тип простих суцвіть (блоків), із яких вони складаються.

3. Порівняйте будову зображених суцвіть рослин (мал. 16.3) з мал. 16.1, 16.2. Установіть тип суцвіття для кожного прикладу. Здійсніть

Мал. 16.1. Прості суцвіття: 1 — китиця; 2 — колос; 3 — початок; 4 — головка; 5 — зонтик;

Довідка. Більшість рослин запилюються комахами: осами, бджолами, джмелями, метеликами, жуками (мал. 16.4). Рослини, що запилюються комахами, мають великі квітки з яскравою оцвітиною або дрібні квітки, зібрані в суцвіття, які добре видно здалеку.

Мал. 16.4. Найпоширенішими запилювачами є

Приймочка маточки

своєї ж квітки. У багатьох самозапильних рослин запилення відбувається в тих квітках, які ще не розкрилися (пшениця, горох). Але для збільшення мінливості нащадків чимала кількість рослин запилюються перехресно. Таке запилення відбувається під час перенесення пилку

Тичинка

Пилок

Зав’язь

Мал. 16.5. Комахи переносять пилок із квітки на квітку

Підручниквидавництво

Мал. 16.6. Колібрі-запилювач

із їхнього тіла обсипається

(мал. 16.5). Рослини, багаті на нектар, називають медоносами, до них належать, наприклад, акація, липа, гречка.

Деякі водні рослини, квітки яких розташовані у воді, запилюються з її допомогою. Їхній пилок розноситься течією.

бук, ліщина.

Людина може робити штучне запилення, тобто сама переносити пилок на маточки квіток. Цей прийом використовують для виведення нових сортів культурних рослин або підвищення врожаю. Штучне запилення застосовують під час вирощування кукурудзи й соняшнику.

Довідка. Як пов’язані запилення й запліднення? Запилення — це перенесення пилку з тичинок

на приймочку маточки. Завдяки цьому може

відбуватися запліднення: злиття чоловічої та жіночої гамет. Після запилення пилок, що потрапив на приймочку маточки,

проростає.

Пилкове зерно складається з двох клітин. Одна з них ділиться та утворює дві чоловічі

гамети (спермії). Інша клітина починає рости, формуючи довгий виріст

Пилкова трубка проростає в такий спосіб,

Індивідуальна робота

університету, учений-біолог С. Г. Навашин.

Дізнайтеся більше про цього вченого та його відкриття. Зробіть про ці відкриття

Підручниквидавництво

Запитання і завдання

1. Яке біологічне

точки

Поміркуйте

й обговоріть ситуацію

Покритонасінні рослини неймовірно різноманітні й численні. Як ви вважаєте, що треба зробити, щоб їхнє вивчення було достатньо зручним? Запропонуйте критерії, тобто ознаки, за якими покритонасінні рослини було би зручно поділити на менші групи.

Мал. 17.1. Зернівка пшениці (а); насінина квасолі (б)

Насінна

Підручниквидавництво

Класифікація покритонасінних рослин Покритонасінні рослини поділяють на дві групи: Дводольні та Однодольні, залежно від кількості сім’ядоль у зародку насіння. Сім’ядолі — це перші листки зародка. Дводольні в зародку містять два перші зародкові листки, а однодольні — один (мал. 17.1). Лабораторне дослідження

Мета: ознайомитися з будовою

рослин

і Дводольних рослин, навчитися розпізнавати їхні складові.

Матеріали та обладнання: сухе й набрякле насіння квасолі та пшениці (замочені за добу); скальпель; пінцет; препарувальна голка; лупа.

Хід роботи

1. Розгляньте суху й набряклу насінини квасолі та пшениці. Чим вони відрізняються? Поясніть

2. Зніміть пінцетом шкірку насінини квасолі та спробуйте зняти

3.

5.

6.

Основні

Ознака

Зародок насінини:

кількість сім’ядоль;

особливості

проростання

Листок:

морфологія листка, жилкування

Стебло

Коренева система

Зазвичай

проростання на поверхню (квасоля)

або залишаються під землею (дуб)

Простий або складний, зазвичай черешковий; сітчасте (перисте або пальчасте)

Характерний ріст у товщину за рахунок діяльності камбію; чітко виражені кора та серцевина

Первинний корінець зазвичай

коренева система стрижнева

Життєва форма Деревні, чагарникові або трав’янисті рослини

Будова квітки

Число компонентів оцвітини переважно кратне 5 або 4

Кількість видівБлизько

Зазвичай одна сім’ядоля залишається після проростання під землею

Завжди простий, часто сидячий; паралельне або дугове

Камбій відсутній; кора та серцевина нечітко виражені

Підручник

Первинний корінець рано

мичкувата

Здебільшого трав’янисті (за винятком драцени, юки та деяких агав)

Число компонентів оцвітини, як правило, кратне 3

сортів капусти на полицях овочевих магазинів

Підручниквидавництво

інші культури. Крім того, у насінні сої багато олії.

Знайдіть інформацію і зробіть невеличку доповідь про те, як використовують сою в процесі

виробництва цукерок, соусів, маргарину, соєвого молока.

Завдання 3. Родина Пасльонові. З-поміж рослин родини Пасльонові особливо виділяється

картопля, бо це найважливіша продовольча,

кормова та технічна культура.

Знайдіть інформацію і зробіть невеличку допо-

відь про те, як картопля опинилася в Європі, чому її спочатку не їли, а вважали декоратив-

інші

ною рослиною та прикрашали картопляними квітами сукні й капелюшки, а також

факти з її «біографії».

Індивідуальна робота

Цікава рослина з родини Пасльонові — фізаліс. У нього велика, опукла, пухироподібна чашечка, усередині якої розташований плід. Чашечка

яскравого червоного чи оранжевого кольору, тому фізаліс часто вирощують як декоративну

рослину.

Знайдіть інформацію

відь про ті рослини родини

декоративними.

Індивідуальна робота

Підручниквидавництво

(Квіткові) рослини заселили всі

континенти та всі доступні середовища існування. Виділяють

Підручниквидавництво

Покритонасінних (Квіткових): Однодольні та Дводольні. Родини Покритонасінних

висновок.

Запитання і завдання

1. Скільки родин покритонасінних рослин згадано у вірші Ліни Костенко «Стоять жоржини мокрі-мокрі...»?

2. Традиційний дівочий вінок використовувався у весільних обрядах українців ще з дохристиянської доби. З-поміж інших квітів у вінку неодмінно був барвінок. Використавши етнографічні джерела,

Гербарій

Слово "herba" перекладається з латини, як «трава, рослина», а в польській мові "herbata"

означає «чай», бо раніше його виготовляли з трав. Слово «гербарій» у перекладі означає «травник» або «книга про трави». Наукова спільнота називає гербарієм колекцію спеціально зібраних засушених рослин, призначених насамперед для їхнього наукового вивчення, а також використання під час навчання.

Гербарії дають можливість зберігати рідкісні

рослини й знаєте, що можна спеціально зробити певний

поширення, коли

ким цей вид було

зібрано тощо. Важливим елементом наукового

гербарію є гербарна етикетка. Саме вона відображає основну інформацію про спостереження

окремого виду в певному місці конкретним

спостерігачем (мал. 18.1, с. 96). Учені-ботаніки вважають, що етикетка важливіша за зразок. Якщо є рослинний екземпляр, але відсутня до нього етикетка, то такий гербарний зразок не має жодної наукової цінності.

Підручник

Головні елементи етикетки

• Назва виду. Зазвичай

використовують наукову назву виду латинською мовою.

Додатково можна навести українську назву.

• Назва родини, до якої належить зібраний зразок. Тут також, як правило, зазначається наукова назва родини латинською мовою.

• Місце збору Надається коротка характеристика місця збору, зокрема, адміністративна (околиці населеного пункту, район, область, країна)

та екологічна (наприклад, сосново-грабовий ліс на правому

рослини, які не мають пошкоджень шкідниками чи хворобами та на яких є максимальна можлива кількість органів. Особливо важливо, щоб на рослині були органи розмноження:

квітки та / або плоди, спороносні колоски, соруси, стробіли, коробочки для вищих спорових рослин.

Коли рослина обрана й зібрана, її кладуть

під гербарний прес — спеціальний пристрій

для висушування гербарію (мал. 18.3). На одній із дощечок розміщують кілька аркушів паперу,

«національне культурне надбання — це сукупність унікальних культурних цінностей, об’єктів культурної спадщини, що мають виняткове історичне значення для формування культурного простору України». Як ви вважаєте, чому в переліку наукових об’єктів, що становлять національне надбання України, є гербарії? Чому і навіщо їх охороняють і зберігають?

Підручниквидавництво

Поділіться своїми думками Прес — це дві дерев’яні дощечки чи металеві пластини із численними отворами, між якими кладуть зібрані зразки рослин.

Поділіться своїми

думками

Відомий французький філософ та енциклопедист Жан-Жак Руссо захоплювався

збором рослин і створенням

власного гербарію. Він писав: «Той, чий погляд відкритий для принад рослинного світу, не потребує численних книг, щоб зрозуміти їхню красу. Лише

одна книга вимагає невпинного

вивчення — це книга природи».

ви з його

думкою?

Усі гербарії України rnk.com.ua/106894

Підручниквидавництво

Гербарій

Еволюція рослин Еволюція є природним явищем, яке пов’язане з такими властивостями живого, як адаптив-

ність, спадковість і мінливість. Еволюція — це зміна будови та функцій організмів упродовж історії планети Земля. Ці зміни відбуваються

в такий спосіб, щоб організми могли виживати

в навколишньому природному середовищі й за-

лишати нащадків, котрі теж можуть пристосовуватися, виживати й розмножуватися. Тобто еволюція є процесом адаптивних перетворень живої природи. Це дуже тривалий історичний процес, він здійснюється мільйони років і є незворотним. Життя на нашій планеті зародилося у воді.

Тож перші організми, які могли використовувати сонячну енергію, теж з’явилися у воді. Серед давніх прокаріотів виникли ціанобактерії, які в результаті фотосинтезу виділяли кисень. Згодом з’явилися еукаріотичні водорості, хлоропластами яких стали ціанобактерії. Будова водоростей досить проста: вони не мають ані органів, ані справжніх тканин (мал. 19.1).

Водорості здатні поглинати всією поверхнею тіла мінеральні речовини та вуглекислий газ

із навколишнього середовища (води). Життя та розмноження цих живих організмів повністю

залежить від води.

Оскільки умови існування водоростей у

Поміркуйте й обговоріть ситуацію

Підручниквидавництво" Ранок

Еволюція — це формування пристосувальних змін живих організмів від покоління до покоління внаслідок впливу умов середовища існування.

Існує наука, яка зветься еволюційна біологія. Вона створює теорії, що пояснюють, чому й під дією яких факторів (чинників) живі організми змінюються, еволюціонують.

"

концентрації

Мал. 19.2. Озоновий шар захищає всіх живих істот, які мешкають на суходолі, від шкідливого ультрафіолетового випромінювання, небезпечного для живих організмів

Підручниквидавництво

зрештою, пристосувалися до нових умов існування в наземно-повітряному середовищі. Для цього в зелених водоростей (предків наземних рослин) виникли покривні тканини для захисту від висихання,

тканини

кислого

зелених водоростей виникли вищі, або наземні, рослини.

Утворення органів у вищих рослин тісно пов’язане з перерозподілом функцій у нових умовах суходолу. Кожен орган — пагін, листок, корінь — забезпечує виконання окремих функцій.

Першими рослинами, що пристосувалися до суходолу, стали вищі спорові. Спорові — більш давні наземні рослини,

щі, плауни, папороті (мал. 19.4). У життєвому циклі мохів переважає статеве покоління —

гаметофіт. А в плаунів, хвощів і папоротей у життєвому циклі переважає нестатеве покоління — спорофіт, який має корені, стебло й листки.

Близько 350 млн років тому виникли насіннєві папороті. Це рослини, які зовні схожі на

папороті, але розмножувалися вони насінням, а не спорами. Потім з’явилися справжні насінні рослини — Голонасінні — та більш складні за будовою Покритонасінні (Квіткові) рослини.

Ці рослини не потребували води для запліднення. Голонасінні та Покритонасінні рослини зайняли раніше недоступні для спорових ділянки земної суші, де відчувався дефіцит

були більш жорсткі умови зростання. Таким чином, насінні рослини мали досконалу

до життя на суходолі в наземно-повітряному середовищі (мал. 19.5).

Водночас з ускладненням зовнішньої

в рослин відбувалися пристосування до кращого

розмноження в умовах суходолу. У Покритонасінних (Квіткових) рослин виникла квітка, яка стала пристосуванням до більш ефективного запилення й запліднення. Крім того, з’явився плід, який забезпечив захист насіння та їхнє поширення. Із часом квітки покритонасінних

Підручниквидавництво

Підручниквидавництво

насінних рослин розв'язали проблему залежності статевого

1. Доведіть, що еволюція є процесом адаптивних перетворень живої природи.

2.

3. Як спорові рослини пристосувалися

Охорона рослин Здійснюючи господарську діяльність, людство завдає природі величезної шкоди. Страждають від цієї діяльності й рослини — і це

негативно впливає на життя самого людства. Для запобігання негативним змінам в екосистемах, у яких ми самі й живемо, нам потрібно навчитися раціонально використовувати природні ресурси, а також запроваджувати потужні заходи щодо охорони природи в цілому й рослин зокрема. До цього може долучитися будь-хто з нас.

Індивідуальна робота Знайдіть інформацію про Родючий Півмісяць.

формування перших цивілізацій.

Охорона природи — це система заходів, спрямованих на раціональне використання, збереження, примноження природних багатств Землі, охорону довкілля й зменшення негативного впливу антропогенного фактора (чинника).

Охороні рослин сприяє створення запо-

Підручник

відників, заказників, національних парків. В Україні в усіх природних зонах є

ники, основні функції яких — охорона унікальних природних комплексів і

природні комплекси

та проводяться лише

наукові дослідження.

Тут будь-яка

господарська

діяльність заборонена.

Заказники —

це природні території, створені з метою

збереження

й відтворення

природних комплексів

або їхніх окремих

компонентів.

В Україні існують такі національні природні парки, як Карпатський, Слобожанський, Шацький, Азово-Сиваський, «Синевир», «Подільські Товтри» (мал. 20.3), «Святі гори»

Підручниквидавництво

лісових, степових, болотних тощо. Серед заказників загальнодержавного значення є, наприклад, лісові заказники Дзвінківський, Жуків хутір, Урочище Унава. Серед заказників місцевого значення є такі ботанічні заказники,

Червоної книги України Для захисту й збереження окремих видів живих організмів створюються так звані Червоні книги. Міжнародна Червона книга заснована та розроблена в 1948–1966 роках. Вона містить

список рідкісних і таких видів рослин, тварин і грибів, що зникають. У цій книзі наводиться їхній опис, названі території, де ці види існують. На основі Червоної книги розробляють наукові й практичні заходи щодо охорони, відновлення та раціонального використання занесених до неї видів. Кількість видів, про які йдеться в Червоній книзі, згодом змінюється. До неї вносять нові види, чисельність яких зменшується. У багатьох країнах створено свої національні Червоні книги.

Червону книгу України було засновано 1976 року. До неї занесено види тварин і рослин, що підлягають особливій охороні на всій території України. Ви маєте добре знати рідкісні й зникаючі види рослин своєї місцевості, брати участь у їхній охороні, бо інакше вони можуть зникнути назавжди (мал. 20.5). В Україні існують унікальні рослинні угру-

повання, які також потребують охорони. Вони записані в Зеленій книзі України. У ній представлений перелік понад ста типових рослинних угруповань, які повинні охоронятися. Це лісові, чагарникові, трав’янисті, степові, лучні та болотні угруповання.

Мал. 20.4. Це — Ботанічний сад Харківського національного університету імені В. Н. Каразіна. Він

Підручниквидавництво

Ботанічний сад — це науково-дослідницький і культурно-просвітницький заклад, у якому відбувається накопичення колекцій флори з метою її вивчення, збереження, культивування

й акліматизації.

складена сукупність видів рослин, що населяють певну територію або населяли її в минулі геологічні часи.

" Ранок"

Індивідуальна робота Знайдіть у Червоній книзі

України рослину, яка вам

подобається, зробіть про неї невеличку доповідь і запропонуйте заходи, які сприятимуть її охороні та збереженню.

Робота в групі

Для мешканців вашої громади розробіть дизайн

інформаційної листівки

«Обережно: амброзія!».

Вона має містити зобра-

ження цього карантинного бур’яну, коротку характе-

ристику шкоди для люди-

ни та алгоритм дій

у разі знаходження масових заростей амброзії

полинолистої. Презентуйте свою листівку іншим групам. Оберіть найкращу

шляхом таємного голосування. Листівку-переможницю розмістіть на сайті школи.

Опорні точки

Охорона природи — це система заходів щодо раціонального використання, збереження та примноження природних ресурсів, зокрема, й рослинних угруповань. До найважливіших природоохоронних заходів, які убезпечують рослини, є створення заповідників, заказників, національних парків. Важливу роль у захисті рідкісних рослин, що зникають, виконує Червона книга України.

аборигенних, тобто місцевих, видів рослин, які на цих територіях вже давно живуть. «Прибульці» починають швидко розмножуватися, захоплюють нові території й витісняють аборигенні види рослин. Тим самим інвазійні види знижують біорізноманіття та змінюють довкілля. До інвазійних рослин в Україні належать борщівник

дуб червоний, амброзія полинолиста, ваточник сирійський, маслинка вузьколиста (мал. 20.6).

є борщівник

Запитання і завдання

Підручник

1.

3.

Різноманітність грибів. Справжні гриби

Раніше люди вважали, що гриби — це «особливі рослини», бо ведуть прикріплений спосіб життя, часто ростуть у лісах, проте не є зеленими. Й так повелося, що всі

об’єкти називали «грибами».

Справжні гриби дуже різноманітні (схема 15). Їх налічується більше 150 тис. відомих Колись люди, які збирали гриби, помітили, що їхні шапинки й ніжки — тугі, скрипучі та пружні. Мабуть, тому одне з пояснень походження

є рослинами й не є тваринами.

Справжні гриби —

це величезна група гетеротрофних еукаріотичних організмів, які

поглинають поживні речовини всією поверхнею клітин і переважно розмножуються спорами.

21.3).

Мал. 21.3.

Вакуоля

МітохондріяЯдро

Гриби — гетеротрофи Як живляться гриби? Для живлення грибам необхідні готові

вони є гетеротрофами. Гриби поглинають органічні речовини (наприклад, цукри й амінокислоти) та неорганічні речовини (воду й розчинні солі), усмоктуючи їх усією

своїх клітин.

Із поглинутих органічних речовин у клітинах грибів утворюються важливі для їхнього росту речовини: власні білки, жири, вуглеводи. Інша частина поглинутих органічних речовин розщеплюється за допомогою кисню, тобто окиснюється, до вуглекислого газу та води. При цьому вивільняється енергія, яка потрібна для забезпечення процесів життєдіяльності гриба. Такий процес окиснення органічних речовин киснем для отримання енергії називають аеробним диханням. Аеробне дихання

відбувається в мітохондріях клітин грибів. За відсутності

Підручниквидавництво

Виконайте завдання «Конструктор термінів».

Лат. fungus (мн. fungi) — гриб (гриби)

Лат. суфікс -цид- означає

вбивчий

Грец. мікос — довжина чи зріст Грец. риза — корінь Грец. логос — слово, вчення Поясніть значення слів «мікориза», «мікологія», «міцелій» (мікелій), «фунгіцид», «антимікотик», «мікоз».

Сапротрофи —

організми, які

отримують необхідні

для життєдіяльності

органічні речовини, руйнуючи залишки

чи відмерлі частини

інших організмів.

Аеробне дихання —

окиснення органічних

речовин

до вуглекислого газу

та води за допомогою

кисню з отриманням

енергії для

функціонування

клітини.

2.

Спиртове бродіння —

розщеплення

вуглеводів

до етилового спирту

та вуглекислого газу

без доступу кисню

з отриманням енергії

для функціонування

клітини.

тіла гриба, де утворюються спори. У Базидієвих грибів

край) і покладіть на предметне скло. Розгляньте її за

Підручник

1.

2.

3.

4. Замалюйте мікроскопічну будову Пеніцила

Несправжні

паразитичні гриби, як фітофтора та сапролегнія.

Фітофтора спричиняє

рослин. У роки з високою вологістю

стати причиною масового ураження врожаю картоплі, томатів, баклажанів та ін. (мал. 21.5). Фітофтора зумовила Великий голод

1845–1849 років, коли трапилося масове ураження врожаю картоплі. Сапролегнія часто паразитує на рибі, ікрі та різних водних мешканцях. Вона може уражати

й акваріумних риб. Для боротьби із сапролег-

ніозом риб додають спеціальні речовини у воду акваріумів, наприклад, метиленовий синій. Окремою групою несправжніх грибів є слизовики, або міксоміцети. В екосистемах вони є мікроскопічними сапротрофами, або хижаками, що поїдають водорості,

Підручниквидавництво

грибів. Алеврія, боровик, галерина, глива, головач, гнойовик, гриб-зонтик, зморшок, лисичка, моховик, маслюк, мухомор, опеньок, павутинник, підберезовик, підосичник, бліда поганка, польський гриб, рижик, рядовка, свинуха, сироїжка, строчок, сухлянка, трутовик лускатий, трюфель, хрящ-молочник, чортів гриб. Зауважте: це

Ранок"

Роль грибів в екосистемах

Раніше ми з’ясували, що гриби — це гетеротрофні організми, які мають отримувати органічні речовини в готовому вигляді. Звідки та як гриби отримують ці речовини?

Вони поглинають їх, розщеплюючи певний органічний матеріал, наприклад, залишки чи

продукти виділення інших організмів: опале

листя рослин чи послід тварин. Для цього тонкі гіфи грибів уростають у цей матеріал, протискуючись углиб крізь

Часто можна спостерігати розвиток грибів чи цвілі на деревах, опалому листі, рештках живих організмів, продуктах харчування й

стяться в матеріалі.

поверхнею клітин малі молекули (наприклад, глюкозу, амінокислоти), які утворилися внаслідок розщеплення складних сполук

лишки інших організмів, різний органічний матеріал. Такі гетеротрофні організми мають

назву сапротрофами. Сапротрофами є широко відомі гриби, такі як печериця, глива, зморшок, пеніцил, мукор і багато інших. Сапротрофні гриби можуть розщепити всі органічні речовини, які існують у природі. Вони також пристосувалися руйнувати деякі види пластиків, що має величезне значення у зв’язку з масовим забрудненням природних екосистем використаними пластиковими виробами. Серед грибів багато паразитів, які оселяються на / у тваринах чи рослинах. Гриби можуть паразитувати й на інших грибах (мал. 22.1, 22.2).

шкоди останньому.

грибів-трутовиків потрапляють через ушкодження кори чи кореня рослини і проростають гіфами в деревину. Трутовик поступово розщеплює й руйнує дерево зсередини. При цьому тривалий час у рослини не спостерігається симптомів ураження. Зрештою дерево трухлявіє, з’являються розщеплення стовбура, дупла

ознаками врожайності, смаковими та поживними якостями, що

Підручник

видів, які поселяються на шкірі, нігтях, волоссі або всередині тканин тварин і

Їхні спори чи фрагменти міцелію потрапляють у тріщини або ушкодження шкіри, де й починає розвиватися гриб. Причиною зараження грибами можуть бути медичні й косметичні процедури, місця спільного користування: басейни, лазні тощо. Однією з причин мікозів є представники

сумчастих грибів роду Трихофітон (мал. 22.8). Вони спричиняють дерматомікози (грибні ураження шкіри) та оніхомікози (грибні ура-

ження нігтів). Гриби роду Трихофітон живуть у ґрунті. Деякі з них пристосувалися до живлення білком кератином, що входить до складу шкіри, волосся та нігтів людини (мал. 22.9). Трихофітон може також бути причиною лупи в разі ураження ним шкіри голови. Якщо грибні інвазії вчасно не вилікувати, вони можуть призвести до втрати волосся, нігтів.

Ураження нігтів, шкіри, слизових оболонок та внутрішніх органів можуть спричинити патогенні дріжджі роду Кандида (мал. 22.10).

Спори різних грибів, які ми вдихаємо з по-

вітрям, можуть спричинити алергічні реакції. Тому в приміщеннях слід боротися з вологістю, яка сприяє розвитку цвілевих грибів.

Спори гриба Гістоплазми трапляються в курячому посліді або в гуано (випорожненнях) кажанів. Із пилом повітря вони потрапляють у легені, спричиняючи їхнє важке ураження — гістоплазмоз — смертельне захворювання без правильного лікування. Взаємовигідні відносини

22.9.

Підручниквидавництво" Ранок"

Мал. 22.10.

вирощують печериці та

Для цього

обладнати приміщення (камеру) з вентиляцією та клімат-контролем (мал. 22.12). Як матеріал для живлення необхідний

1.

2. У субстрат

3.

4.

5.

Підручник

відходах продуктів рослинництва, тваринництва та компостах, отримуючи необхідні для людини речовини.

Робота в групі Ознайомтеся з наведеною інформацією щодо

правил збирання грибів. Якщо необхідно, знайдіть додаткову інформацію за допомогою мережі «Інтернет». Створіть короткий

rnk.com.ua/106386

Робота в парі Ознайомтеся з наведеною інформацією

1. Яка особливість грибів-паразитів? Виконайте проєкт «Гриби — фітопатогени». Створіть інфографіку про найбільш економічно значимі фітопатогенні гриби України.

2. Чому багато рослин не можуть існувати без мікоризи?

3. Чому їстівні гриби іколи можуть спричинити отруєння?

Підручник

4. Створіть інформаційний буклет чи постер «Гриби — збудники захворювань людини».

5. Виконайте вдома практичну роботу «Використання

тіста», скориставшись інформацією за QR-кодами.

Пам’ятка «Правила збирання грибів у природних

Опорні точки

відіграють значну роль в екосистемах. Серед грибів багато паразитів, є гриби-сапротрофи, які розкладають залишки інших організмів, а є гриби, які формують взаємовигідні відносини з рослинами. Є гриби, які спричиняють захворювання людини, тварин і рослин. Є їстівні й отруйні гриби.

Поміркуйте й обговоріть ситуацію

Прогулюючись парком чи лісом, ми часто помічаємо зелені, жовті або сизі нарости, кірочки чи кущики на гілках і стовбурах дерев. Це лишайники. Але чому вони ростуть там? Як вони впливають на дерева: шкодять їм, є корисними чи просто живуть на них?

Ліхенологія — це біологічна наука, яка вивчає будову, життєдіяльність, поширення

та різноманіття лишайників.

Лишайники, або ліхенізовані гриби, — це симбіотичні організми, талом (слань) яких складається з гриба й зелених водоростей. До складу лишайника також можуть увіходити ціанобактерії замість

Підручниквидавництво

«Forest Mystery»

Lichens are models of true collaboration in nature. They are actually composed of two different organisms living in the same house, so to speak. And there is the most immersive part: they are indeed neither plant nor fungi. They are both at once! Lichens are a complex of tightly interacted organisms. Lichens pose no danger to trees on which they grow. Lichens do not penetrate into the trees, and they take no nutrients or water from them. One of the ways lichens directly benefit plants is through their ability to absorb everything from atmosphere. That way they can prevent their hosts from toxic compounds.

Ранок"

фотосинтез, утворюючи з неорганічних органічні речовини за рахунок енергії світла. До складу більшості описаних лишайників увіходять зелені водорості роду Требуксія.

Талом деяких лишайників може формуватися грибом і ціанобактеріями. Вони виконують не лише функцію фотосинтезу, а й здійснюють

процес фіксації азоту з атмосфери, забезпечуючи гриб сполуками Нітрогену.

Практичне дослідження лишайників Ваш об’єкт дослідження — лишайник Ксанторія, або Золотянка.

1. Обережно зробіть зріз лишайника

2. Змочіть його невеликою кількістю води та

якомога тонший шматочок тонкими ножицями.

лишайника під лупою чи невеликому збільшенні мікроскопа.

3. Зробіть спостереження основних складників

талому лишайника, позначених на світлині.

4. Наріжте лишайник на маленькі шматочки

товкачиком і залийте невеликою кількістю води. Перемішайте отриману суспензію.

5. Перенесіть суспензію лишайника в три пробірки. У першу пробірку додайте кілька крапель оцту,

для контролю.

6. Порівняйте результат забарвлення рідини

Лишайник Золотянка

Знайдіть інформацію

й дайте відповіді

на запитання

від симбіозу з грибом дістають

водорості? Чи справді симбіоз

гриба та водорості в лишайнику

є прикладом мутуалізму —

взаємовигідного партнерства?

Підручниквидавництво

до нових умов існування. Лишайники зробили значний внесок у створення первинних екосистем суші, бо вони — продуценти органічних речовин — основа будь-якої екосистеми. Лишайники, до складу яких увіходять ціанобактерії, можна вважати повноцінними «організмами-екосистемами», бо вони самі забезпечують себе всіма необхідними поживними речовинами (фотосинтез і азотфіксація ціанобактерій) і їх же розщеплюють (дихання грибів). Тож ці симбіотичні організми цілком могли б стати першими колонізаторами будь-якої планети земного типу! Лишайники

Лишайники, наче ковдрою, укривають ґрунти північних лісів і тундрової зони (мал. 23.3). Для місцевих мешканців вони — основний зимовий корм. Наприклад, північні олені та лемінги живляться лишайниками роду Кладонія, який називають ягель, або оленячий «мох», а також лишайниками роду Цетрарія (ісландський «мох») (мал. 23.4). Ці лишайники можна використовувати для годування свійських тварин — овець і корів. А чи може людина вживати в їжу лишайники? Так, деякі лишайники є їстівними. У минулому народи Півночі, наприклад, саами, у зимовий період споживали ісландський «мох». Їстівним є лишайник Аспіцилія, який трапляється в пустелях і степах. Можливо, він став прототипом «манни небесної», яка, за біблійним сюжетом, урятувала людей від голоду

в пустелі.

Із лишайників отримують лакмус — речовину, яка змінює своє забарвлення в кислому середовищі на червоне. Ба більше, вони є

джерелом цінних хімічних речовин, які допомагають боротися з бактеріальними інфекціями, — антибіотиків. Наприклад, з ісландського «моху» виготовляють пастилки для профілактики запалення горла.

Лишайники поглинають із повітря різні речовини, зокрема, шкідливі забруднювачі. Багато

з них при цьому гинуть, тому в місцях із силь-

ним забрудненням повітря трапляються лише

поодинокі накипні лишайники. Цю властивість використовують для оцінювання чистоти повітря на певній території. Тому лишайники

Мал. 23.3. Кладонія (ягель)

Підручниквидавництво

називають індикаторами чистоти повітря.

Запитання і завдання

1.

2.

3.

Мал. 23.4.

— це симбіотичні організми, у яких тісно поєднуються

Поміркуйте

роблять? Що спільного між

ними та чим вони відрізняються?

Завдання

видавництво

Типи локомоції тварин різні: за допомогою плавців чи вигинів тіла, реактивний рух, повзання, брахіація, ширяння, ходьба, стрибки, ковзання, риття, біг, махальний політ та інші. Запропонуйте кілька способів класифікації зазначених типів

Підручник

риб,

закономірності поширення тварин планетою. Сучасна систематика вважає справжніми лише багатоклітинних тварин. Клітини тварин є диференційованими (англ. different), тобто вони різняться за своєю формою, будовою та функціями. Особливості будови клітин тварин зумовлені тими функціями, які вони виконують щодо забезпечення процесів життєдіяльності цілісного багатоклітинного організму. Процеси життєдіяльності дають можливість пристосуватися тваринам до середовища їхнього існування й жити та розмножуватися в довкіллі. Основними виявами життєдіяльності тварин є живлення, дихання, виділення, транспортування речовин, рух, розмноження, ріст,

здійснюється шляхом локомоції — сукупності рухів частин тіла, завдяки чому можна змінювати положення тіла в просторі. Ця

Дізнайтеся, яких тварин вивчають такі науки, як теріологія, герпетологія, арахнологія, гельмінтологія, малакологія. Створіть інфографіку «Зоологія — наука про тварин». Знайдіть інформацію й виконайте завдання

На світлині зображений рак-самітник, який ховає частину

має зовнішню мембрану, яка відокремлює її вміст від навколишнього середовища. Зовні вона має глікокалікс — тонкий шар із вуглеводів, приєднаних до молекул мембрани. Усередині клітини розміщена цитоплазма з різними органелами (ендоплазматична сітка, комплекс Гольджі, лізосоми, мітохондрії та інші). Особливістю клітин тварин є те, що вони можуть змінювати форму. Тобто клітини тварин можуть мати різну форму, утворювати

Підручниквидавництво

непостійні вирости, а також

Еритроцити

3. Розгляньте виготовлений мазок під мікроскопом, замалюйте

4. Зробіть висновок про результати дослідження.

Тканини тварин

Розрізняють чотири типи тканин у тварин: епітеліальну, м’язову, нервову та сполучну. Клітини є основою тканин. Із них складаються органи організму тварини. Орган — це утворена з кількох типів тканин відокремлена частина організму, яка виконує певну функцію. Органи ж об’єднуються у фізіологічні системи органів для здійснення складних процесів життєдіяльності.

Симетрія тіла тварин

Особливості будови тіла та способу життя тварини зумовлені симетрією тіла, яка є одним із критеріїв поділу тваринного світу на великі групи. Розрізняють два типи симетрії тіла: променеву (радіальну) та двобічну (білатеральну). При радіальній симетрії через тіло можна провести кілька площин симетрії, а при білатеральній — лише одну (мал. 24.2). Більшість тварин мають двобічну симетрію: у них лише одна площина симетрії, яка розділяє тіло на дві частини, що є дзеркальним відображенням одна одної. У меншої частини тварин променева симетрія. Деякі тварини не мають симетрії, тобто вони асиметричні.

Симетрія тіла — закономірність розташування подібних та однакових частин організму щодо площини, яка умовно

перетинає тіло.

Запитання і завдання

будови

двох типів тканин тваринного

організму. Що між ними спільного? Сформулюйте визначення «тканина». Ґрунтуючись

на назвах типів тканин, опишіть їхні функції та розміщення

Підручниквидавництво

1. Назвіть особливості будови клітин тварин.

2. Які найважливіші відмінності між тваринами та рослинами?

3. Чому в зоології виокремлюють велику кількість наук?

4. Чому клітини тварин, на відміну від

5.

Особливості клітин тварин визначаються тим, що вони є гетеротрофами.

Поміркуйте й обговоріть ситуацію

В африканській савані мешкає багато травоїдних видів копитних тварин: жирафи, зебри, антилопи гну, слони, антилопи дік-дік. Як удається стадам цих тварин уживатися на одній території, споживаючи один тип корму?

Підтримання

в просторі, а також рухи тварин забезпечуються опорно-руховим апаратом, який складається зі скелета і м’язів. У

Підручник

харчуватися виключно рослинами, це фітофаги, або рослиноїдні види тварин. Прикладом таких тварин є більшість гризунів: миші, ховрахи, бабаки, білки, бобри; рослиноїдними є метелики та їхні личинки — гусінь, а також жуки-листоїди й бджоли. Найбільш відомими рослиноїдними тваринами є копитні: буйволи, корови, жирафи, антилопи, козулі та інші (мал. 25.1). Іншою групою тварин є м’ясоїдні тварини, які полюють чи в інший спосіб отримують поживні речовини з тіл тварин. М’ясоїдами є тварини родини Котячі: леви, тигри, ягуари, гепарди, пуми; та родини Псові: вовки, лисиці, шакали, койоти. Серед птахів м’ясоїдні соколи, яструби, орли, грифи, лелеки, чаплі та ін. Багато хижих тварин і серед безхребетних: це жуки-плавунці та жуки-водокраси, бабки, окремі види турунів, мурашки, оси, шершні та інші (мал. 25.2).

Мал. 25.1.

З-поміж тварин багато таких, які можуть

споживати як рослинну їжу, так і тваринну, саме тому вони — усеїдні, або поліфаги. Це бурі ведмеді, росомахи, а також птахи, такі як граки, дрозди, шпаки та інші (мал. 25.3).

видавництво

Травні системи тварин пристосовані до типу їжі й бувають настільки різноманітними, наскільки різноманітною є кормова

тварин.

уваги

Підручник

Мал. 25.4. Дощовий черв’як — тварина-сапрофаг

Поділіться своїми думками

Травні системи тварин є досить різними. Поясніть, чому відбувається саме так, якщо всі тварини мають однаковий спосіб живлення — вони гетеротрофи.

Мал. 25.5. Устриці — тваринифільтратори

трованої біомаси. Таких тварин називають фільтраторами. До них належать губки та двостулкові молюски: беззубки, перлівниці, мідії, морські

На дні океану, де крізь розломи в земній корі виходять вулканічні гази, збагачені сірководнем,

якщо його порівняти з родичами-молюсками — мідією чи виноградним равликом?

Дихання

У багатьох дрібних чи просто організованих тварин газообмін здійснюється безпосередньо через покриви тіла. У більш складних і розвинених організмів для цього виникла дихальна

система. У процесі еволюції у тварин з'явилися різні органи дихання (мал. 25.8). У риб, раків, молюсків з’являються зябра; у комах — система дихальних трубочок, або трахей; у наземних тварин — легені.

Виділення

У тварин у процесі еволюції формувалися різноманітні органи виділення. Наприклад, у комах — це мальпігієві судини, трубочки, які збирають продукти обміну з усього тіла

й виділяють їх. У всіх хребетних тварин, зокрема й людини, органами виділення є нирки, які фільтрують кров, утворюючи сечу з кінцевими продуктами обміну, що виводиться з організму.

Розмноження тварин Для різних тварин характерне як статеве, так і нестатеве розмноження. Тварини використовують різні стратегії розмноження. Якщо навколишнє середовище є більш-менш постійним, то в угрупованнях переважають тварини з K-стратегією. Для K-стратегів характерні великі розміри, відносно довга

Оскільки тварини — це гетеротрофи, їм притаманна роль консументів (споживачів органічної речовини) та роль редуцентів (розкладачів органічних речовин), якщо тварини сапрофаги.

Залежно від способу живлення тварин (травоїдні, м’ясоїдні чи всеїдні) вони можуть бути консументами І, ІІ та ІІІ порядків. Консументи І порядку

Підручниквидавництво

це травоїдні тварини, що безпосередньо

рослин-продуцентів.

ІІІ порядку

хижаків». Редуцентами в екосистемах здатні бути різноманітні тварини-сапрофаги, які живляться рештками тіл і виділеннями інших організмів, розкладаючи органічні речовини до неорганічних.

Запитання і завдання

1. Чим відрізняються безхребетні та хребетні тварини?

2. З-поміж травоїдних тварин є приклади видів, які живляться одним видом рослин (монофаги). Знайдіть інформацію про такі види. Які пристосування допомогли вижити цим монофагам?

3. Запишіть кілька ланцюгів живлення, де б один і той самий вид був

"

Предками всіх сучасних тварин були давні одноклітинні організми. Їхні клітини мали комірці та джгутики. Живилися вони, захоплюючи часточки їжі в клітину шляхом фагоцитозу. Подібні організми й зараз мешкають у водних

екосистемах — комірцеві джгутиконосці.

Найдавнішими багатоклітинними тваринами є представники типу Губки, які з’явилися

понад 600 млн років тому. Відтоді їхнє середовище та спосіб життя майже не змінилися.

Sponge Bob Square Pants

Сучасні губки — це прикріплені до субстрату тварини з

тілом (мал. 26.1).

тіла губки є голки, розташовані всередині стінки тіла, їх виробляють особливі

опорні клітини.

Губки — це організми, які фільтрують крізь своє тіло воду з дрібними мешканцями — планктоном. Усередині «келиха» є численні

Підручниквидавництво

клітини із джгутиками та комірцями, які створюють потік води крізь пори (отвори) в стінках тіла губки крізь її порожнину до

частини — гирла, або устя

Як тисячолітній промисел туалетної

які мешкають у Середземному морі, складається з еластичної

Завдання

вдається просвердлювати

ходи у твердому вапняку скелястого узбережжя або руйнувати корали та мушлі молюсків.

інформацію

губки бодяги. Які особливості губок роблять їх джерелом лікарських засобів від античної медицини до сьогодення?

день води! За сприятливих умов для існування губки можуть укрити своїми тілами майже все дно водойми. На жаль, очищуючи

1. У чому особливість будови тіла губок і способу їхнього живлення?

2. Які клітини є в тілі губки? Які функції вони виконують?

видавництво

3. Як забруднення води впливає на губок? Чому це має негативні наслідки для всієї водної екосистеми?

Підручник

4. Яка унікальна властивість губок описана в цитаті зі статті B. E. Alexander (2015)?

«Sponges have a remarkable capacity to rapidly renew in response to wound infliction. After sponge cells separation by mechanical methods, they can regenerate an adult from fragments or even single cells».

Завдання Губки є первинними багатоклітинними тваринами, водними, переважно морськими тваринами, які ведуть прикріплений спосіб життя. Вони поширені всією Земною кулею, їхні розміри можуть коливатися від 5 см до 3 м, розмножуються

діб знадобиться,

озера, якщо швидкість

Є надзвичайно цікаві й примхливі істоти, які почуваються добре лише в кришталево чистій воді з досить високим рівнем солоності й освітленості, температура якої має бути не нижчою за 20 °C. Вони створили Великий Бар’єрний

Риф, який простягнувся

на 2300 км уздовж східного узбережжя Австралії.

Що це за істоти? Чому їм потрібні саме такі умови?

їхній порятунок —

справа людей усієї планети?

Дослідження зовнішньої будови гідри

Матеріали та обладнання:

набір постійних

мікропрепаратів; мікроскоп. Хід роботи

1. Розгляньте під мікроскопом

особливості зовнішньої та внутрішньої будови гідри.

2. Знайдіть на постійних препаратах шари клітин гідри, міжклітинну речовину, кишкову порожнину.

3. Ознайомтеся з основними типами клітин гідри на малюнках.

4. Зробіть висновки щодо особливостей

Хто такі Жалкі? Тип Жалкі — це багатоклітинні двошарові тварини: зовнішній шар — ектодерма, внутрішній — ентодерма. Ектодерма містить епітеліально-м’язові (1), жалкі (2), нервові (3) та проміжні клітини, з яких можуть розвиватися інші клітини. Ентодерма містить травні (5) та залозисті (4) клітини (мал. 27.1). Усі представники мають радіальну (променеву) симетрію. Упольована здобич за допомогою щупалець доставляється в рот. У кишковій порожнині відбувається травлення, яке завершується в травних клітинах.

поліпів є гідри та обелії. Відомими мешканцями морів України є медузи аурелія (вухата медуза) та коренерот. У холодних водах океанів трапляються отруйні медузи — ціанея та хрестовичок, а в теплих — більшість видів коралів (червоний, мадрепорові) та актиній. Актинії — поодинокі коралові поліпи без твердого скелета. Їхні численні щупальця усіяні жалкими клітинами, чим користуються інші організми. Так, риби-клоуни живуть у мутуалістичному симбіозі

групі Знайдіть інформацію про те, які наслідки планетарного

який росте й розмножується брунькуванням. А далі поліп формує молодих медуз — ефір (мал. 27.5).

Довідка. Відомим і небезпечним представником гідроїдних є португальський кораблик, або фізалія. Це колоніальний організм, його тіло складають поліпи різної будови. Своє ім’я він

видавництво

1. Що таке атоли?

Підручник

Загальна характеристика кільчастих

червів

Тип Кільчасті черви налічує більше 12 тис. морських, прісноводних і ґрунтових видів червів, тіло яких розділене на сегменти. На головному кінці розташовані органи чуття: дотику, нюху тощо.

Тіло кільчастих червів укрите одношаровим

епітелієм, тонкою кутикулою та слизом. Під шкірою розміщені м’язи, які разом із нею утворюють шкірно-м’язовий мішок. Травна система наскрізна, починається ротом і закінчується анальним отвором. Дихають ці черви поверхнею тіла.

У кільчастих червів є кровоносна система. Кров судинами циркулює по організму й здійснює транспортування поживних речовин, кисню, продуктів обміну. Нервова система складається з головного ганглія (скупчення нервових клітин) і черевного нервового ланцюжка (мал. 28.1).

Дослідження зовнішньої будови та особливості руху кільчастих червів (на прикладі дощового черв’яка)

Мета: дослідити зовнішню будову дощового черв’яка, його пристосування до умов існування в ґрунті, а також особливості його руху.

Матеріали та обладнання: дощові черви (живі істоти, їхні зображення чи моделі); відеофрагменти руху та реакцій червів на подразники;

Підручниквидавництво

«Поза сумнівом, що навряд чи є ще інші тварини, які

Мал. 28.2.

Мал. 28.3.

Підручниквидавництво" Ранок"

своєю чергою,

багатощетинкових червів. Клас Пояскові підклас Малощетинкові черви об’єднує здебільшого прісноводних і ґрунтових червів. На сегментах тіла в них відсутні параподії, а з боків розташовані лише пучки коротких щетинок. Органи чуття зазвичай розвинені слабко.

Поширені повсюдно дощові черв’яки живуть у ґрунті, живляться рослинними рештками та перегноєм, сприяючи розкладанню

вид

(мал.

кілька днів у проточній воді, а після ретельного промивання зберігають живими до кількох місяців. Клас Пояскові підклас П'явки — це кровосисні або хижі кільчасті черви, які здебільшого

мешкають у прісних водоймах, проте є й сухопутні та морські види. Вони мають дві присоски (ротову й задню). Рот оточений трьома щелепами, якими вони прорізають покриви жертви.

У слині п’явок міститься гірудин, що перешко-

джає згортанню крові та утворенню тромбів. У водоймах України трапляється п’явка

медична (мал. 28.5), яка потребує для життя

досить чистої води. Характерними мешканця-

ми наших водойм є п’явка кінська та риб’яча

п’явка.

Довідка.

За результатами досліджень на українській

антарктичній станції «Академік

зі співавторами описали новий вид риб’ячих п’явок.

Виявилося, що їхні предки жили

проводять нині українські біологи в Антарктиці.

видавництво

Запитання і завдання

1. Гірудотерапія — давній спосіб лікування, заснований на використанні медичних п’явок. Під

2.

3.

Підручник

rnk.com.ua/106484

Поміркуйте

1897 року шведська полярна

експедиція на чолі із Соломоном

Августом Андре спробувала

досягти Північного полюса

на повітряній кулі, але всі члени

експедиції загинули. Після аналізу

записів у щоденнику Андре шведський лікар Ернест Трайд

зробив висновок, що члени

Відкритий мікрофон Аргументовано поясніть, навіщо паразитичні черви утворюють багато яєць.

Чому вони втратили травну

систему та органи чуттів і стали анаеробами?

Підручниквидавництво

клітини якого несуть війки. Коливальні рухи цих війок допомагають червам рухатися. У війчастих червів замкнена травна система (рот, глотка, передня й середня кишка). Неперетравлені рештки викидаються через рот.

Війчасті черви переважно хижаки. Вони живуть у прісних водоймах, морях, а також у вологому ґрунті. У зв’язку з вільним способом життя в них розвинені органи чуття — світло-

Завдання

від

захворювання, пов'язаного з паразитичною діяльністю печінкового сисуна?

Печінковий сисун паразитує в печінці

великої рогатої худоби або людини (остаточний хазяїн) (мал. 29.2). Потрапивши у воду з фекаліями остаточних хазяїнів, яйця паразита розвиваються в личинки, що заражають ставковика малого (проміжний хазяїн). У ньому личинки ростуть і розмножуються. Нові покоління личинок залишають ставковика й плавають у воді або прикріплюються до водної рослинності (мал. 29.3).

Остаточний хазяїн — організм, де

дорослий паразит, який розмножується статевим шляхом.

Проміжний хазяїн — організм, де мешкають і розмножуються личинки паразита.

Клас Стьожкові черви

Дорослі черви паразитують у кишці хребетних тварин. Їхні розміри варіюють від кількох

міліметрів до кількох метрів. Тіло гельмінта ділиться на голівку, шийку й численні членики. На голівці розташовані органи прикріплення — присоски та / або гачки. Тварини не мають травної системи, усмоктування їжі відбувається всією поверхнею тіла. У них

бичачого ціп’яка та тексту підручника з'ясуйте,

паразита. Як людина може заразитися бичачим або свинячим

циклу

Мал. 29.5. Нематоди паразитують

Підручниквидавництво

1.

2. Розгляньте

3. Схематично

4. Зробіть

ставника,

Мал. 29.6.

живання є їжа, яку «відвідували» мухи чи таргани, оскільки вони можуть переносити на своїх лапках яйця аскарид і гостриків. Гострики спричиняють ентеробіоз, який часто трапляється в дітей (мал. 29.7). Вони невеликого розміру, до 1,3 см. Паразитують у товстій кишці. Вночі самиці спускаються до анального отвору й відкладають навколо нього яйця. Це спричиняє свербіж. У результаті розчісування яйця гостриків опиняються під нігтями й брудними руками заносяться до рота. Так відбувається постійне самозараження.

Мал. 29.7. Гострик

Трихінели спричиняють трихінельоз, який уражає свиней, ведмедів, лисиць, шакалів, щурів та інших тварин. Дорослі особини трихінели живуть у травній системі, а їхні

личинки проникають у м’язи, ушкоджуючи їх (мал. 29.8). Людина заражається личинками трихінел у результаті споживання м’яса свиней або диких тварин. Навіть кулінарна

обробка, соління, копчення, в’ялення чи маринування м’яса не здатні знищити личинки трихінел. Трихінельоз — це

захворювання! Саме через нього загинули члени експедиції Соломона Августа Андре.

видавництво

Запитання і завдання

1. Чим відрізняються пристосування вільноживучих червів і паразитичних?

2.

3.

Підручник

Мал. 29.8. Личинки трихінели на зрізі свинини

Опорні точки

Плоскі війчасті черви живуть у морях і прісних водоймах. Більшість із них є дрібними хижаками та кормом для інших тварин. Печінковий сисун і стьожкові черви (ціп’яки, ехінокок) — поширені паразити людини і тварин. Круглі черви повсюдно відіграють важливу роль у

"

Поміркуйте

й обговоріть ситуацію

Мушлі рапани — це популярний сувенір Чорноморського узбережжя. Насправді його батьківщиною є води Японського моря. Завезений на днищах кораблів зі сходу, молюск

поширився в Чорному морі.

Цей хижак знищує колонії устриць і мідій, які очищують

морську воду, фільтруючи її.

Спробуйте пояснити, чому

рапана так швидко захопив нову

акваторію. Які зміни в Чорному

морі можуть відбутися, якщо чисельність рапани буде зростати?

Підручник

складається з голови, тулуба й ноги, хвилеподібні скорочення м’язів якої забезпечують повільне повзання по поверхні. Органи дихання — або зябра (рапана), або легеня (равлик). Виноградний равлик на язиці має тертушку з хітинових зубчиків (радулу), за допомогою якої він зішкрібає рослинну їжу. Ці тварини — гермафродити. Після схрещування вони відкладають яйця, безпосередньо з яких розвиваються маленькі равлики (прямий розвиток). Представниками черевоногих молюсків є ставковик, бітинія, виноградний равлик, ахатина, рапана, конус, слимак голий (мал. 30.2). Клас Двостулкові Ці молюски мають черепашку

порожнину потрапляють тверді часточки, на кшталт піщинки, то вони вкриються шаром перламутру й перетворяться на перлини.

Дослідження будови черепашки (мушлі) черевоногих і двостулкових

молюсків

Матеріали та обладнання: натуральні мушлі виноградного равлика, ставковика, рапани, мушлі жабурниці, мідії, дрейсени; лупа; пінцет.

Хід роботи

1. Розгляньте запропоновані зразки мушель черевоногих молюсків, віднайдіть устя, верхівку. Установіть, у який бік закручена черепашка.

2. Розгляньте зразки мушель двостулкових молюсків. Знайдіть вершину та «річні» кільця, якими наростала мушля. Зверніть увагу на шари мушлі: перламутровий, вапняковий і роговий.

3. Замалюйте зразки мушель, підпишіть основні елементи будови та шари.

4. Зробіть висновки про подібність і відмінності

будови мушель різних видів молюсків.

Клас Головоногі

У морях та океанах мешкають такі голово-

ногі молюски, як восьминоги, каракатиці, кальмари, наутилуси, аргонавти (мал. 30.4).

У них добре виражена голова, розвинені органи чуття, зокрема, парні очі, які за складністю

Підручниквидавництво

не поступаються очам людини. Нога розділена

на окремі щупальця. Дихають вони зябрами.

Ці молюски швидко плавають реактивним способом,

Завдання

восьминогів на

вид риб, що ведуть зграйний спосіб життя.

Результати досліду представлені на стовбчастій

діаграмі (див. мал. поруч).

Як залежить ефективність полювання від чисельності

групи? Обчисліть ефективність полювання для

окремого восьминога в кожній групі. Користуючись власними розрахунками, оцініть, яка чисельність восьминогів у групі є оптимальною для полювання.

Підручниквидавництво

населяють переважно мілководдя тропічних морів (мал. 30.5).

Люди споживають у їжу мідій, гребінців, устриць, кальмарів і восьминогів. Сьогодні створені морські молюскові ферми для отримання перлів і вирощування устриць і мідій. У будь-якому регіоні можна організувати виробництво з вирощування виноградних равликів для їжі та отримання «білої ікри» (мал. 30.6).

Пошук, систематизація та критичний аналіз інформації щодо можливостей створення молюскових ферм

1. Здійсніть пошук інформації, яким чином облаштовують молюскові ферми (вирощування виноградних равликів, мідій, устриць та ін.).

2. Виконайте SWOT-аналіз проєкту такої ферми.

3. Зробіть висновки щодо можливості створення

молюскової ферми у вашій місцевості.

Запитання і завдання

1. Глибоководний молюск наутилус існує в незміненому стані на Землі вже багато

мільйонів років. Дізнайтеся, хто такі реліктові тварини. Чому вони не еволюціонували й збереглися в первісному стані до наших часів?

2. Які кулінарні характеристики виноградних

равликів зробили їх предметом ресторанного бізнесу?

видавництво

3. Дізнайтеся, для будівництва яких міст України широко використовували черепашник.

Підручник

4. Із чого отримують і як використовують

5.

Мал. 30.6. Виноградних равликів

людини

Поміркуйте

й обговоріть ситуацію

Бамблбі — трансформер із фракції Автоботів. Свою назву він дістав через жовто-чорну смугастість. Він спритний, маневрений і виконує надточні рухи. Яка тварина (англ. bumblebee) стала прототипом

Бамблбі? Які особливості будови фантастичного героя надають

йому мобільності та здатності

до трансформації?

Довідка. Членистоногі дуже різноманітні. Наразі описано більше 1,5 млн видів, що опанували всі середовища існування на нашій планеті (схема 19).

Відкритий мікрофон

У зоомагазині Микола купив омріяного маленького павука-птахоїда. Він правильно доглядав і годував його. Минав

час, а павук залишався маленьким… Одного ранку, зазирнувши в акваріум, де жив павук, Микола неабияк здивувався! Їх стало два, однаковісіньких.

Підручниквидавництво

розвинену нервову систему, яка забезпечує їхню

Щоправда, лише один рухався.

Що відбулося з павуком?

який мешкає в

(мал. 31.1).

Різноманітність і значення ракоподібних

Ракоподібні об’єднують близько 67 тис. видів переважно водних тварин, які дихають зябрами. Дафнії, циклопи та бокоплави — це дрібні рачки, які входять до складу планктону і є чудовим кормом для водних тварин, зокрема риб (мал. 31.2).

видавництво

Раки, краби та креветки є вагомою ланкою в ланцюгах живлення водойм (ними живляться риби, кити та інші тварини). Омари, лангусти,

Підручник

Мал. 31.4.

Мал. 31.5.

Мал. 31.6. Павук-хрестовик

об’єктів (каменів, днища кораблів) (мал. 31.4).

морів та

величезні скупчення крихітних (3–6 мм) рачків, які називають крилем (мал. 31.5). Для вусатих китів (синій кит, горбач, смугач, фінвал) криль є основним джерелом живлення, який вони відфільтровують із води. Крилем живиться багато важливих промислових риб (оселедець, тріска), а також чайки та пінгвіни.

вання тканин жертви вони висмоктують рідкий уміст. Павуки знищують величезну кількість комах, зокрема, й шкідників сільського господарства. Самі вони є їжею для птахів, ящірок, ссавців та інших тварин.

Кліщі Це дрібні павукоподібні. Усі відділи їхнього тіла злиті. Завдяки хеліцерам і педипальпам вони прокушують шкіру та живляться

тварин і людини. Іксодові кліщі

та хвороби Лайма (мал. 31.7). Коростяний свербун

спричиняє демодекоз. Вона поселяється в порах шкіри та живитися сальними виділеннями.

Запитання і завдання

1. Як відрізнити представників членистоногих від інших тварин?

2. Ознайомтеся з коротким описом біорізноманіття членистоногих і дайте

Мал. 31.7.

Підручниквидавництво

Examples of arthropods include insects such as flies, bees, beetles, and ants; crustaceans such as crayfish, crabs, lobsters and krill; myriapods such as centipedes and millipedes; arachnids such as spiders, scorpions, and extinct animals such as trilobites.

каракурт, павук-сріблянка. З інших груп павукоподібних: косарик звичайний, скорпіон

і сольпуга звичайна. Ваше завдання — підготувати відеопрезентацію для мистецької виставки. Доберіть яскраві світлини та інформацію про представників павукоподібних, аби зацікавити якомога ширшу аудиторію.

" Ранок"

Усесвітньо відомий виробник гвинтокрилів Ігор Іванович Сікорський, який навчався в Київському політехнічному інституті, створив свій одногвинтовий гелікоптер, маючи за прототип звичайну бабку! Які особливості польоту, полювання та маневрів цього хижака надихнули винахідника на конструювання гелікоптера?

Будова комах

Комахи — це найбільша група тварин, яка об’єднує понад мільйон видів. Ці тварини завоювали всі середовища існування (наземно-повітряне, ґрунтове, водне й інші організми як середовище існування). Для комахи характерний, як і для всіх членистоногих, план будови. Комахи мають пару складних (фасеткових) очей, утворених

6. Розгляньте будову ротових апаратів комах. Порахуйте кількість елементів (видозмінених кінцівок) і зверніть увагу на особливості їхньої будови: розміри, довжину, товщину, форму. Прочитайте матеріал «довідки» й установіть тип кожного ротового апарата.

видавництво

Підручник

ротовий апарат може бути гризучим (усі елементи масивні), гризуче-лижучим (такі ж елементи будови, однак більш тонкі й видовжені), колюче-сисним (пучок тонких видовжених елементів, які складаються в голку), сисним (трубочка), лижучим (хоботок) та ін.

7. Визначте тип ротового апарата на мікропрепараті. 8. У висновку зазначте тип кінцівки (спосіб та особливості руху комахи), різновид ротового апарата (особливості живлення комахи) та висловіть припущення, якому ряду комах вони б могли належати.

Різноманіття комах Комахи поділяються на комах із

ним і неповним перетворенням (мал. 32.1, с. 156). Такі ряди Класу

як

крилі (Жуки), Перетинчастокрилі, Двокрилі, Лускокрилі (Метелики) та Блохи

Анкета

1. Середовище існування

2. Джерела їжі:

3. Спосіб живлення:

4. Спосіб руху:

5. Форма тіла та крил:

6.

Багато комах є шкідниками найважливіших сільськогосподарських культур. Сарана, совки та луговий метелик знищують посіви злаків. Яблуневий довгоносик і яблунева плодожерка пошкоджують плодово-ягідні культури. Шовкопряди, сосновий пильщик, сосновий довгоносик зашкоджують деревним насадженням, а зернові запаси винищують жуки-чорнотілки, коморний довгоносик тощо. Не менше значення мають комахи-паразити та переносники захворювань людини і тварин, такі як блохи, воші, комарі, мухи, таргани тощо.

Індивідуальна робота «Виготовлення простої пастки для комах (комарів), яку можна встановити в кімнаті

на ніч»

Вам знадобляться: дві столові ложки цукру, склянка теплої води, один пакетик сухих дріж-

джів та пластикова пляшка об’ємом 2 літри. Розріжте

(розчиніть)

воді виробляється вуглекислий газ і тепло, що приваблює комарів. Залітаючи у вирву, вони не можуть вибратися назад і тонуть.

Термін дії такої натуральної пастки — кілька днів.

Комахи псують хутра, шерстяні (міль), деревні вироби (точильники, домовий вусань, терміти) та книги. Вони створюють перешкоди в роботі багатьох апаратів і машин. Для боротьби з ними застосовують хімічні, біологічні та агротехнічні методи боротьби.

Мал. 32.2. Метелик тутового шовкопряда

Мал. 32.3. Личинки

*

вам не вдається ідентифікувати представника чи ряд, до якого він належить, сфотографуйте його й виконайте пошук у мережі «Інтернет» за світлиною.

(медоносна бджола, жуки-наривники), шовку (шовковичний шовкопряд) (мал. 32.2), інших продуктів, у деяких регіонах комах уживають у їжу. Останнім часом усе більшого значення набуває розведення хижих комах-їздців для боротьби зі шкідниками сільського та лісового господарства (мал. 32.3).

Практична робота «Дослідження різноманітності

Підручниквидавництво

Комахи — це найбільша група тварин, яка об’єднує понад мільйон видів. Ці тварини завоювали всі середовища існування (наземно-повітряне, ґрунтове,

2.

Використайте 2–3-х представників із

3.

4.

в екосистемах і для людини мають ці комахи.

5. Подайте висновки у вигляді короткої інформаційної картки-опису комахи.

1. Чи можуть комахи бути отруйними? Знайдіть інформацію та дайте відповідь.

2. Уявіть себе SMM-менеджером чи SMM-менеджеркою,

3.

Загальна характеристика хордових

Спільною ознакою хордових тварин є наявність внутрішньої опори тіла. Це може бути

хорда — пружний тяж, наче спиця, розташований усередині тіла тварини (ланцетник).

У більшості ж представників типу замість хорди формується хрящовий чи кістковий хребет

є й інші спільні

тіла: особливості

Поміркуйте

й обговоріть ситуацію

тварин. Як осягнути це різноманіття? Зрозуміло, що певним чином згрупувати за подібністю будови, процесів

життєдіяльності та походження.

Які спільні ознаки одночасно

притаманні карасю, жабі, ящірці, горобцю та людині?

видавництво

Підручник

Cпільні риси плану будови тіла Хордових (мал. 33.1):

• наявність внутрішнього скелета (хорди — у ланцетників і личинок покривників; хребта замість хорди у всіх інших);

• двобічна симетрія тіла;

• нервова система у вигляді довгого тяжу на спинному боці тіла;

• травна система у вигляді трубки, що проходить крізь усе тіло;

• наявність кровоносної системи та гемоглобіну — білка, який переносить кисень;

• дихання відбувається або завдяки зябрам, або завдяки легеням.

Різноманіття, роль у природі

та значення для людини Ланцетники — це примітивні хордові, опору тіла яких забезпечує хорда (мал. 33.2). Вони живляться, фільтруючи частинки їжі з води. За допомогою щупалець тварини направляють потік води крізь рот до глотки, яка пронизана зябровими щілинами. Частинки їжі затримуються й проходять далі в травну систему. Вода виходить крізь щілини, омиваючи зябра й насичуючи кров киснем. У ланцетників добре розвинені нюх і дотикова чутливість. Живуть вони

спосіб життя також сприяв розвитку складної нервової системи з головним мозком та органами чуттів (очі, ніздрі тощо). В екосистемах хребетні тварини є консументами — споживачами готових органічних речовин. Вони можуть бути рослиноїдними (консументи 1-го порядку), м’ясоїдними (консументи вищих порядків) чи всеїдними.

Хребетні тварини є одним із головних джерел їжі та повноцінних білків для людини. Найбільше значення мають кісткові риби, птахи та представники ссавців.

Людина широко використовує пір’я птахів і шерсть ссавців, наприклад, вовну овець

для виготовлення різних тканин і матеріалів.

Люди здавна одомашнили диких предків соба-

ки, кішки, великої рогатої худоби, овець, кіз,

коней, кролів, гусей, качок і багатьох інших.

У результаті селекції виведено численні породи свійських тварин, від яких ми отримуємо

м’ясо, молоко, яйця, сало тощо.

Тварини можуть становити небезпеку для

людини: отруйні види риб, змій чи жаб; великі хижі тварини (скажімо, ведмеді); переносники та джерела інфекційних захворювань: кажани, голуби, щури, антилопи та багато інших ссавців; джерела паразитичних протистів із червів: собаки, велика рогата худоба, риба тощо.

Підручниквидавництво

Запитання і завдання

1. Що

своїми думками Тип Хордові об’єднує тварин зі спільним планом будови: наявність внутрішньої опори тіла — хорди чи хребта, нервового тяжу зі спинного боку, двобічної симетрії, травної системи у вигляді трубки та дихання зябрами чи легенями. Примітивними хордовими є

Поміркуйте й обговоріть ситуацію

життя — активних хижаків.

Які саме зміни виникли в опорно-руховій системі й чому? Із чим був пов’язаний розвиток органів чуттів?

Які переваги в щелепних хребетних? Поясніть, чому ці пристосування стали головними в еволюції хребетних.

(схема 21).

Підручниквидавництво

Більшість риб має спільні пристосування до середовища існування:

• обтічна форма тіла для полегшення пересування в товщі води;

• зябра, які омиваються водою для насичення крові киснем;

• шкіра, укрита лускою, яка захищає тіло та сприяє плаванню;

• залози, які виділяють

Практична робота «Порівняння зовнішньої будови хрящових (акула) і променеперих (окунь) риб»

1. Розгляньте зображення риб та увідповідніть цифрові позначення з елементами будови: спинний, черевні, грудні, анальний і хвостовий плавці; ніздрі, рот, бризкальце, зяброва кришка, зяброві щілини, бічна лінія, рострум.

2. За переліком зазначте спільні пристосування, а також відмінності у формі тіла, зовнішніх структур зябер, луски, хвостового плавця, позиції грудних плавців.

видавництво

Підручник

«Інтернет».

3. Висловіть гіпотезу щодо переваг, які надають зяброві кришки та плавальний міхур кістковим рибам порівняно з хрящовими рибами. Перевірте свою гіпотезу

4. Перекладіть з англійської слова: scales, gills, gill splits / covers, lateral line, nares, caudal / pectoral / pelvic fins.

5. Сформулюйте висновок. Наведіть кілька пояснень, чому ці риби мають багато спільного; за якими ознаками можна відрізнити хрящову рибу від кісткової; де вони мешкають.

Пристосування до різних способів

Підручник

густини риби. Це дає змогу значно економити енергію,

1. Для дослідження

ристайте представлені фотографії луски.

2. Для аналізу щорічного наростання відокремте луску риби, витріть серветкою та розгляньте за допомогою лупи чи мікроскопа.

3. Порахуйте кількість дугоподібних зон наростання луски, які відокремлюються більш щільними лініями.

4. Знайдіть додаткову інформацію про терміни життя кількох проме-

5. Зробіть висновок про тривалість життя риб, особливості їхнього росту

Для розмноження променепері риби пливуть

на нерест в оптимальні умови для розвитку їхнього потомства. Прохідні види риб більшу ча-

стину життя проводять у морях, а для нересту піднімаються у верхів’я річок (лосось) або, навпаки, з річок мігрують у моря (річковий вугор). Під час нересту самиці відкладають ікринки (яйцеклітини) у воду, а самці поливають їх сім’яною рідиною, яка містить сперматозоїди.

Підручниквидавництво

Мал. 34.3. Турбота про потомство у дискусів (р. Амазонка). Мальки чіпляються за боки батьків, а ті їх підгодовують виділеннями залоз шкіри

Довідка. У свіжої риби зябра червоні, очі прозорі та світлі, ледве відчутний «рибний» запах, а луска блищить. Деякі недобросовісні продавці риби можуть підфарбовувати зябра

(мал. 34.3). Воно характерне для акваріумних риб гуппі

видавництво

Риби — найбільш чисельна група хребетних тварин, пристосованих до водного середовища існування. Розрізняють хрящових (акули та скати, які

Підручник

Як з’явилися перші наземні тварини?

Близько 400 млн років тому в прісних водоймах тогочасних континентів були поширені представники класу Лопатепері риби. У зв’язку з пересиханням водойм і постійним браком

кисню у воді у цих риб розвинулися легені. Тож вони могли дихати киснем повітря. Особ-

ливістю цих риб була будова плавців. Вони да-

вали змогу виповзати їм на сушу й мігрувати

з водойми у водойму (мал. 35.1).

Довідка. У сучасній фауні налічується всього вісім видів Лопатеперих риб. Це шість видів

Дводишна риба — протоптер

видавництво

Близько 370 млн років тому сформувалися наземні екосистеми, продуцентами тут стали вищі спорові рослини: мохи, плауни, хвощі та папороті. Ці екосистеми заселили й різноманітні безхребетні тварини, гриби та бактерії. Наявність сприятливих умов для існування,

"Sealegs" — це катер, який має шасі з колесами, що розкладаються при переході човна на сушу. Коли катер повертається у воду, колеса складаються. Ці катери назвали «амфібіями».

Що означає слово «амфібія»

Підручник

Ray-finned

" Ранок"

Тонкі кісткові промені плавців Кістки, які створюють міцну опору Мал. 35.1. Різниця будови грудних

Lobe-finned

(lobe-finned) риб

Поділіться своїми

думками

Чим відрізняються умови життя тварини у водному та наземноповітряному середовищі? Чому риби швидко гинуть на суші? З яких структур розвинулися

передні та задні кінцівки

наземних тварин? Чому амфібій ще називають земноводними?

Підручниквидавництво

Дослідження зовнішньої

1. Розгляньте зовнішню будову

та увідповідніть цифрові позначення з відділами тіла: передня та задня кінцівки, голова, тулуб, око, барабанна перетинка, ніздря, рот, дно ротової порожнини, стегно, плече, гомілка, передпліччя, стопа, кисть, пальці, перетинки.

2. Знайдіть переклад назв частин тіла англійською мовою: trunk, nostril, tympanum, thigh, shin, web, manus, digits, forelimb, hindlimb.

Зазначте цифри, яким вони відповідають.

3. Порівняйте наявні відділи та структури тіла жаби з будовою вашого тіла. Укажіть

подібні та відмінні риси будови. Зробіть

висновок.

Особливості

Більшість амфібій дихає за рахунок скорочення та розслаблення м’язів дна ротової порожнини. При опусканні дна ротової порожнини її об’єм збільшується, тиск знижується, і повітря крізь ніздрі надходить до легень. Наступне підняття дна ротової порожнини збільшує тиск, і повітря проштовхується до легень. При цьому клапани в ніздрях закриваються, щоб повітря не вийшло назовні.

Більшість амфібій поєднують легеневе та шкірне дихання. Їхня тонка й волога шкіра багата на кровоносні капіляри. Коли кров протікає через шкіру, вона насичується киснем. Особливе значення шкірне дихання має

плавання чи життя у воді. Деякі амфібії втра-

Мал. 35.4. Доросла Амбістома та личинка

Відкритий мікрофон Як ви вважаєте, чи стали амфібії повноцінними мешканцями наземноповітряного середовища?

Так чи ні? Наведіть обґрунтування своєї відповіді.

видавництво

В Україні поширені жаби, ропухи, райки (квакші), часничниці та кумки (мал. 35.5).

Підручник

Поведінка і роль в екосистемах

Поведінка земноводних здебільшого зумовлена вродженими інстинктами. Вони здійснюють усталені міграції до водойм, а потім повертаються до місць постійного проживання. Під час шлюбного періоду для приваблення самиць самці видають певний набір звуків, який підсилюється за допомогою резонаторів.

Тропічні представники земноводних можуть

відкладати ікру на листках коловодних рослин, у спеціальних «гніздах», носити ікру на спині, лапках чи в роті (мал. 35.8). Так, самці дереволазів охороняють кладку яєць, розташовану

високо над водою.

Важливу роль в екосистемах відіграють пуголовки, які живляться фітопланктоном (водорості). Дорослі земноводні знищують велику кількість комах. Пуголовками живляться деякі риби, а дорослими амфібіями — птахи, плазуни та низка ссавців.

Багато амфібій, наприклад ропуха, приносять користь людині, знищуючи комах і слизунів, які є шкідниками саду, городу чи теплиць. У деяких країнах Північної Америки та Європи

амфібій споживають у їжу. Земноводні, приміром, шпоркова жаба, є об’єктами лабораторних досліджень у галузі біології та медицини.

Підручниквидавництво

Запитання і завдання

1. Як зміна умов існування спричинила появу наземних тварин?

2. Які особливості розмноження амфібій?

3. Поміркуйте,

5.

Поділіться своїми думками

саме в цих регіонах

найбільше різноманіття амфібій?

Які наслідки зменшення біорізноманіття амфібій для екосистем?

Амфібії живуть у вологих місцях, недалеко від водойм, де вони розмножуються. Дорослі форми

суші. Земноводні живляться різними безхребетними та відіграють

Поміркуйте й обговоріть ситуацію

«Сутеніло… Ми сплавлялися по Міссурі й наближалися до Міссісіпі. Раптом метрів за двадцять коло берега я помітив десятки дивних плям, які виблискували червоним і рожевим кольорами й повільно рухалися в наш бік. «Мабуть, місцеві світлячки», — подумав я та гукнув Роберта спитати, що то є. Враз його обличчя заклякло. «У нас мало шансів вижити», — тихо мовив він». Чого так сильно злякався Роберт? Яке пояснення феномена

«червоних світлячків»?

Підручниквидавництво

зародок від висихання й ушкодження

Поділіться своїми думками

Чому саме рептилії, а не амфібії змогли опанувати сухі та спекотні місця існування?

Якими є сучасні рептилії?

Рептилії, або плазуни, — це холоднокровні тварини з розмірами тіла від кількох сантиметрів до 10 м! Відомо близько 12 тис. видів плазунів, які живуть повсюдно, крім Антарктиди (в Україні мешкає 23 види).

Рептилії стали справжніми наземними тваринами (змії, ящірки, хамелеони, сухопутні черепахи). Деякі з них повторно адаптувалися до життя у воді (крокодили, окремі змії та черепахи). Проте яйця ці

" Ранок"

Завдання

Прочитайте текст про особливості рептилій.

Про що ви дізналися?

Які в плазунів зуби та навіщо вони їх використовують? У чому різниця

між плазунами, яких називають "turtle" та "tortoise"?

Reptiles are covered with protective shells (turtles and tortoises) and/or though scales (snakes and lizards). Most of them have claws and some have fangs. Their colors blend in with their habits, protecting them from predators. Reptiles are motile animals so they move from place to place by walking, swimming or slithering. They move to escape predators, chase a prey, or dig in the ground to lay eggs. Reptiles use their mouths and similar teeth to grasp things, tear food and defend themselves.

Практична робота «Порівняння зовнішньої будови саламандри та ящірки»

1. Розгляньте зовнішню будову ящірки (рептилія) та саламандри (амфібія). Увідповідніть цифрові позначення з відділами тіла: передня та задня кінцівки, голова, шия, тулуб, хвіст, барабанна перетинка, стегно, плече, гомілка, передпліччя, пальці, кіготь.

2.

trunk, tympanum, thigh, shin, digits, forelimb, hindlimb, tail, neck, claw.

цифри, яким вони відповідають.

3. Визначте спільні та

відділів тіла, особливості

4. Знайдіть інформацію про місця

5.

і покривів.

та спільні ознаки.

6. У висновку зазначте, чим зумовлені

види.

Підручниквидавництво

Завдання

Хоч рептилії й «плазують», їхні рухи ста-

ли значно складнішими й активнішими через прогресивний розвиток скелета, будови кінцівок і м’язів. Ефективний механізм дихання

пришвидшив обмін речовин і вироблення енергії. Тож більшість рептилій стали дуже швидкими порівняно з амфібіями. Так, крокодили під час бігу можуть досягати швидкості 17 км / год.

Ба більше! У Мезозойську еру рептилії повзали, літали, бігали, стрибали та плавали.

Різноманіття рептилій

Розквіт рептилій припав на Тріасовий і Юрський періоди Мезозойської ери (250—150 млн років тому). У повітрі літали птерозаври — «ящери, які літають» (мал. 36.3). У воді пла-

вали плезіозаври — «морські ящери» — та іхтіозаври — «рибоящери» (мал. 36.4). Серед наземних тварин 225 млн років тому з’явилися та панували різноманітні динозаври — «жахливі ящери» (мал. 36.5).

Сучасний летючий дракон, який ширяє

Мал. 36.3. Приклади

Знайдіть і подивіться відеофрагменти

Гекон

Мал. 36.6. Приклади ящірок —

представників фауни України

, що належать до чотирьох

ряд

(ящірки, змії, хамелеони), ряд Дзьобоголові (гаттерія, або туатара), ряд Черепахи (морські та сухопутні черепахи), ряд Крокодили (крокодили, алігатори, каймани, гавіали).

Ряди сучасних рептилій Ящірки мають видовжене тіло з вираженою шиєю, рухливий хвіст і добре розвинені кінцівки. Проте є й безногі ящірки (мал. 36.6). Більшість ящірок невеликі тварини, хоча є й гіганти, наприклад, варани острова Комодо. Дрібні види мають маскувальне забарвлення, тоді як тропічні види досить яскраві. Ящірки ведуть денний спосіб життя, мешкають на ділянках, що добре прогріваються сонцем, харчуються безхребетними, зокрема комахами. Змії мають довге тіло без кінцівок, нерухомі напівпрозорі повіки, тож вони не блимають. Особливістю змій є відсутність барабанної перетинки. Кістки двох щелеп у змій з’єднані зв’язками рухомо, тож вони можуть

Робота в групі

Дізнайтеся, як чують змії.

особливі ямки на голові деяких змій допомагають

полювати вночі? Знайдіть і презентуйте

Підручниквидавництво

інформацію про порядок дій

широко розкривати пащу. Отруйні змії мають видозмінені слинні залози, що виробляють отруту, та отруйні зуби. Убивши жертву, змії заковтують її повністю. Майже всі змії при наближенні небезпеки намагаються втекти або попередити про свою присутність звуками. Нападають вони в безвихідних ситуаціях. Живляться змії дрібними хребетними тваринами, гризунами, комахами, а також яйцями. Представники ряду Черепахи мають кістковий панцир, покритий роговими щитками. У наземних черепах

(мал. 36.7), у водних — сплощений, що сприяє швидкому плаванню. У

Мал. 36.7. Болотна черепаха європейська — представник фауни України

Мал. 36.8. Зелена черепаха (Атлантичний і Тихий океани)

Значення рептилій для людини полягає в тому, що вони не лише регулюють чисельність гризунів, комах та інших тварин в екосистемах, а також на сільськогосподарських угіддях. Вужа звичайного легко «одомашнити» для боротьби з гризунами (мал. 36.10). У деяких країнах, на превеликий жаль, у їжу вживають черепах, агам і геконів, а зі шкіри крокодилів виготовляють взуття чи сумочки. Зміїні отрути

використовують для виготовлення лікарських препаратів і протиотрут.

Проєкт «Різноманітність рептилій своєї місцевості»

Дізнайтеся про плазунів своєї місцевості, доберіть світлини цих тварин і опишіть особливості їхньої будови, живлення та способу життя.

Чи є з-поміж них небезпечні для людини види? Допоможе розібратися в цьому

«Плазуни та Земноводні України», який ви легко зможете знайти в інтернеті.

Запитання і завдання

1. Які адаптації мають рептилії до наземно-повітряного середовища та водного середовища існування?

2. Яка роль рептилій в екосистемах і в житті людини?

3. Чому очі та ніздрі крокодила розташовані на

4. Перекладіть англійською мовою слова: вуж, гадюка, ящірка, черепаха

Мал. 36.9. Алігатор — представник фауни Північної Америки

Відкритий мікрофон Які

Мал. 36.10. Вуж звичайний — повсюдний представник

Древньогрецький філософ Аристотель, мабуть, перший, хто спробував розв'язати відому

дилему «курка чи яйце?». Він

писав: «Не могло існувати перше яйце, що поклало початок

птахам, бо тоді мав би існувати

перший птах, що поклав початок

першому яйцю». Усе ж таки, спираючись на сучасні знання

людства, чи можна розв'язати цю споконвічну

Додаток про птахів rnk.com.ua/106488

Підручниквидавництво

є в птахів рогові лусочки, як у рептилій?

2. Розгляньте пір’я птахів на прикладі колекційних зразків чи їхніх зображень. Визначте його тип: контурне (махове), кермувальне, покривне, ниткоподібне, кистеподібне чи пухове.

3. За будовою спрогнозуйте функції пер різної будови. Перевірте свої

додаткових джерел.

4.

1. Ознайомтеся із зовнішньою будовою Синиці великої. Увідповідніть цифрові позначення з таким переліком назв: махові (wing), стернові (tail) та контурні (contour) пера (feathers), крильце (winglet), дзьоб (beak), барабанна перетинка під покривним пір’ям, цівка (tarsus), кіготь (claw).

2. Порівняйте форму зображених птахів.

Який / які з них добре літає / літають? Як

форма тіла сприяє польоту? Знайдіть та перегляньте відеофрагменти польоту, зльоту та посадки птахів. Яку

Підручник

Будова скелета голуба: 1 — верхня щелепа; 2 — нижня щелепа; 3 — череп; 4 — шийні хребці; 5 — кисть; 6 — ліктьова та 7 — променева кістки передпліччя; 8 — плечова кістка; 9 — лопатка; 10 — вилочка (зрослі ключиці); 11 — вороняча

8.

видавництво

Підручник

Особливості життя птахів Навесні починається гніздування, і птахи вибирають гніздові ділянки, де будують чи лагодять гнізда. Самиці відкладають у них яйця, які потім насиджують один або обоє батьків. Багато птахів створюють пари й охороняють своє гніздо, інші ж (наприклад, берегові ластівки, мартини) гніздяться колоніями. Птахи висиджують яйця, притискаючись до них своїм тілом (мал. 37.1).

За особливостями розвитку пташенят птахів

поділяють на дві групи:

• виводкові — великі яйця, термін висиджування тривалий (курка висиджує яйця 21 день), пташенята опушені, через добу вони самотужки слідують за дорослими, шукають годівлю та ховаються під крила мами (кури, качки, лебеді, страуси);

• гніздові — яйця дрібні, короткий термін висиджування, пташенята незрячі, голі, довго залишаються в гнізді, вигодовуються обома батьками (горобці, голуби).

Після розмноження відбувається линян-

ня — зміна оперення та рогових утворів ніг

і дзьоба на нове. Зазвичай у птаха випадають

не всі пера одночасно, тому він може літати.

Але гуси, качки, лебеді під час линяння літати

не можуть. Наприкінці літа чи восени деякі птахи залишаються на території проживання, інші — кочують або здійснюють далекі мігра-

ції — летять у вирій. Тому розрізняють осілих, кочових і перелітних птахів.

видавництво

Осілі птахи (горобці, сороки, глухарі) не полишають своїх територій, а лише переходять

Що таке гніздовий

Підручник

з одного виду корму на інший. Кочові ж птахи (сойки, дятли, снігурі) мігрують, іноді на значні відстані, у пошуках корму. Узимку птахи гинуть переважно не від холоду,

Мал. 37.2. Мапа

територіях, куди треба

летіти? Як правильно

облаштувати годівничку для птахів? Чим можна,

Відеоролик про міграції тварин rnk.com.ua/106490

Додаток «Різноманіття птахів» rnk.com.ua/106491

Віртуальна екскурсія

«Різноманіття птахів» у Національний музей природознавства (Вашингтон, США) rnk.com.ua/106492

Птахи — наймолодша група наземних тварин. Вони теплокровні й мають високий рівень метаболізму. Головні адаптації до польоту: укрите пір’ям обтічне тіло, передні кінцівки модифіковані в крила,

наведіть приклади й поясніть значення птахів у природі та в житті людини. Ключові слова: ланцюги

Особливості та різноманіття ссавців

Близько 220 млн років тому від звірозубих ящерів (рептилій) виникли перші представники ссавців. Сучасний клас Ссавці представлений більше ніж 6400 видами теплокровних тварин, що мають волосяний покрив (шерсть), шкірні залози (сальні, потові, пахучі) та вушні раковини. Майже у всіх ссавців дитинчата розви-

ваються в матці, де плід живиться за рахунок організму матері через плаценту. Ссавці народжують дитинчат і вигодовують їх молоком. Складна поведінка й реакції

Підручниквидавництво

rnk.com.ua/106494

сумчастих тварин: кенгуру, коали (сумчасті ведмеді), опосуми та ін. (мал. 38.2). Ці тварини народжують кволих малят, оскільки не мають розвиненої плаценти. Тож малеча продовжує свій розвиток у сумці матері (спеціальна складка шкіри), куди відкриваються протоки молочних залоз.

Поміркуйте й обговоріть ситуацію

1859 року завезених до Австралії кроликів випустили

в дику природу.

А вже 1907 року вони стали справжнім екологічним лихом, що загрожувало вимиранню сумчастих.

Поясніть, чому так сталося. Які

засоби боротьби із цим «лихом»

ви б запропонували? Дізнайтеся

й поясніть, як людям вдається боротися із цією проблемою.

Чому навчила ця історія людей?

Підручниквидавництво

Стінка матки

Плацента Пуповина

Амніон (міхур) із навколоплідними водами

польоту за допомогою передніх кінцівок, перетворених на крила. Між їхніми довгими (як довжина самого тіла) пальцями натягнута складка шкіри. Усім добре відомі кажани України: нічниця, вечірниця, вухань, лилик, нетопир. У тропіках трапляються фруктоїдні крилани, до прикладу, летюча лисиця. Чисельність видів рукокрилих становить понад 1000, тобто майже 1/5 всіх видів Ссавців!

Кажани живляться комахами. Вони активні

переважно в сутінках, тому для орієнтування використовують ехолокацію, а не зір.

Мал 38.4. Представники ряду Комахоїдних Кріт європейський

2.

Практична робота «Виявлення пристосувань

Підручниквидавництво

Мал. 38.5.

Розв’язання проблемних

питань і завдань із теми

1. Якої шкоди сільському господарству, домоволодінням, підприємствам і людям можуть завдати різні гризуни?

2. За яких умов вигідно у тримувати нутрій?

Мал. 38.6.

мішими представниками є білка, миша, щур, нутрія, хом’як, сліпак і багато інших. Усі мишоподібні — рослиноїдні тварини, тож у них сильно розвинені різці, а ікол немає. Гризуни ведуть наземно-підземний (ховрахи), підземний (сліпаки), наземно-деревний (білки), деревний (летяги), напівводний (бобри) способи життя (мал. 38.5). Гризуни є переносниками та джерелом багатьох інфекційних захворювань.

видавництво

Поміркуйте й обговоріть ситуацію

Головна відмінна риса зайцеподібних

ки: заєць-русак, заєць-біляк, кріль, пискуха (мал. 38.6). Нори зайці не риють.

Ряд Хижі

Ці тварини мають добре розвинені ікла й хижі зуби (видозмінені корінні зуби) та пальці з кігтями. Хижі мають складну поведінку, а отже, й добре розвинену кору головного мозку, яка утворює звивини та борозни.

Підручник

Хижі поширені всюди, крім Антарктиди (мал. 38.7). Живляться переважно тваринним кормом. Хижі — дуже важливі тварини природних екосистем, оскільки слугують регуляторами чисельності інших тварин.

Представники Хижих — це родина Псові (вовк, лисиця, койот та

є вухаті тюлені (морський котик, морський лев, сивуч), моржеві (морж) і тюленеві (нерпа, морський леопард, морський слон).

Ряд Парнокопитні

Парнокопитні — це великі наземні або водні тварини. Вони представлені жуйними парнокопитними (лось, козуля, олень, жираф та інші), нежуйними (свині та бегемоти), мозоленогими (верблюди й лами) та китоподібними.

У парнокопитних на кінцівках парна кількість пальців: два або чотири.

Нежуйні мають короткі ноги, великі ікла, які ростуть безперервно, товсту шкіру. Свині є всеїдними, а бегемоти — переважно рослиноїдними. У Жуйних парнокопитних високі стрункі ноги. Для багатьох із них характерні роги на голові. Вони мають складний шлунок.

Найбільший відділ шлунка — рубець, який

пристосований для бродіння та розщеплення рослинного корму. Жуйні ремиґають, повторно пережовуючи грубий корм.

Китоподібні в процесі еволюції повністю

перейшли до водного способу життя. У них

обтічне тіло, гладка шкіра з товстим шаром

підшкірного жиру, практично без шерсті. Передні кінцівки перетворені на ласти, а задні

повністю зникли. Ніздрі зсунуті на тім’я та закриті клапаном. Представниками китоподібних є вусаті кити-фільтратори (синій кит, фінвал, смугач) і зубаті кити-хижаки (косатка, дельфін-білобочка, афаліна, кашалот). Ряд Непарнокопитні

Підручниквидавництво

Непарнокопитні — це великі тварини, пристосовані до швидкого

Мал. 38.8.

Ряд Примати

Налічує понад 200 видів, представники яких мають гнучкі п’ятипалі кінцівки хапального типу. Великий палець

— нігті. Живляться переважно рослинним кормом, плодами, додаючи до раціону безхребетних. Є й лише рослиноїдні (горили) чи всеїдні (людина). Усі примати поширені в тропіках і субтропіках. А людина живе повсюдно. Напівмавпи поширені в тропічній Азії та Африці. Вони

Вузьконосі мавпи поширені в Азії та Африці. Їхній хвіст виконує роль підтримки рівноваги, а в деяких він узагалі редукований. У цих мавп добре розвинений головний мозок.

Живуть такі мавпи групами. Вони всеїдні. Представники: павіани, ринопітеки, макаки та інші (мал. 38.12).

Людиноподібні мавпи поширені в тропіках і субтропіках Африки та Азії. У них на обличчі

Мал. 38.12. Макак японський

немає волосся. Серед усіх приматів у них

найкраще розвинений головний мозок зі

звивинами та міміка. Живляться ці тварини переважно рослинним кормом. Можуть швидко навчатися й використовувати різні предмети. Представники: гібони, орангутанги, горили та шимпанзе (мал. 38.13).

Проєкт «Різноманітність ссавців моєї

місцевості»

Дізнайтеся про ссавців своєї місцевості,

видавництво

1. Складіть власний перелік із п'яти найважливіших представників ссавців у житті людини. Аргументуйте свій вибір.

2. Перекладіть англійською мовою по одній

Підручник

назві представника кожного ряду ссавців. Створіть «флешкарти» та зіграйте з однокласниками. Поясніть

monkey та ape.

3. Перегляньте

Мал. 38.13. Шимпанзе звичайний Клас Ссавці охоплює понад 6 тис. видів теплокровних тварин, що мають волосяний покрив (шерсть), шкірні залози (сальні, потові, пахучі) та вушні раковини. Крім качкодзьоба та єхидни, усі ссавці виношують дитинчат у матці. У плацентарних є плацента, за допомогою

Опорні

Поміркуйте й обговоріть ситуацію

Ваш знайомий колекціонує

комах. Нещодавно його колекція

поповнилася кількома видами великих і красивих жуків. Приятель пишається ними, тому що вони рідкісні й навіть занесені до Червоної книги. Які правила порушує ваш знайомий? Чи можна так учиняти? Порадьте, що робити, якщо дуже хочеться скласти колекцію.

Підручниквидавництво" Ранок"

Порахуйте, якою була чисельність виду, коли площа ареалу була максимальною.

Охорона тварин

В Україні діє кілька законів про охорону тваринного світу: «Про мисливське господарство та полювання», «Про тваринний світ», «Про Червону книгу України» (схема 24).

Відновленню тваринного світу сприяє перехід від чистого промислу до розведення диких тварин на фермах, в інкубаторах, рибозаводах із метою випуску їх у природу. Місцевими, але дуже дієвими можуть

такі заходи, як спорудження

Підручниквидавництво" Ранок"
Підручниквидавництво

цього відкриття?

Одноклітинні еукаріоти

Одноклітинні еукаріоти, або найпростіші (протисти), — це мікроскопічні організми, які складаються з однієї клітини або групи клітин, що утворюють колонію. Вони належать до різних груп еукаріотів, тож за будовою, процесами життєдіяльності й походженням це зовсім різні організми. Амеби — протисти

Мал. 40.3.

Бувають амеби, які навколо клітини утворюють будиночок з органічних і неорганічних речовин. Крізь отвір у будиночку назовні виходять лише псевдоподії для руху й живлення фагоцитозом (мал. 40.4). Евглени — одноклітинні еукаріоти. Вони живляться міксотрофно: або здійснюючи фотосинтез

нею клітини органічні речовини. Мешкають евглени в прісних водоймах, мають скоротливі вакуолі (мал. 40.5).

Евглени рухаються за

Підручник

спрямовується в клітинний

Мал. 40.7. Інфузорія

сувійка має комірець

із війок для спрямування часточок їжі в клітинний

рот і стебельце

для прикріплення

до підводних об’єктів

Мал. 40.8. Інфузорія трубач

переважно масовим розмноженням ночесвіток. Хвилі та механічні подразники стимулюють світіння цих протистів. Якщо зачерпнути воду рукою, то від дотику до наших рук вони теж

випромінюють яскраве синє світло (мал. 40.9). Планктон морів і океанів також містить

протистів групи Ризарій, які мають тонкі вирости клітини — ризоподії. До них належать форамініфери та радіолярії.

Форамініфери — протисти, які навколо

клітини будують

міцну оболонку

з кальцій карбонату, а тонкі ризоподії

виходять назовні

крізь численні отвори в ній. Представники

планктону Світового океану.

видавництво

Є гетеротрофами, живляться фагоцитозом.

Підручник

Радіолярії — протисти, які всередині клітини

утворюють скелет із кремнезему — сполуки хімічного елемента Силіцію.

Утворюють тонкі ризоподії. Живляться фагоцитозом. Живуть у планктоні морів та океанів. Радіолярії трапляються й у планктоні Чорного моря.

2.

3.

4.

Захворювання Кількість

* Згідно з Murray et al. (2012)

Мал.

Підручниквидавництво

модій потрапляє в організм людини. Тут він живиться, росте й розмножується в еритроцитах крові людини (мал. 40.10). Руйнування еритроцитів спричиняє напади лихоманки. У минулому були спалахи цього захворювання й в Україні. Токсоплазма — внутрішньоклітинний паразит, який уражає різні клітини організму, зокрема, клітини імунної системи.

Роль

в екосистемах

Протисти, які здійснюють фотосинтез, є продуцентами. Більшість же одноклітинних еукаріотів — консументи чи редуценти. Протисти — важлива ланка ланцюгів живлення в екосистемах, вони самі є джерелом живлення, наприклад, для червів і різних безхребетних тварин.

Геологічна роль протистів

Радіолярії сформували такі осадові породи, як кремінь і радіолярити. Різновидами радіоляритів є опал і халцедон. А форамініфери зовсім змінили нашу планету! Вони поглинають із

морської води сполуки кальцію та розчинений вуглекислий газ для побудови своїх оболонок. Коли форамініфери відмирають, їхні оболонки осідають на дно й утворюють осадові породи. Мальовничі краєвиди мають Доломітові гори в Італії, Альпи, Українські Карпати та Гімалаї (мал. 40.12). Усі вони утворені вапняками, що їх створили одноклітинні форамініфери! Крейда, якою ви пишете на дошці, також створена ними. Вік такої крейди може бути 100—200 млн років!

Запитання і завдання

видавництво

1. На території Харківської, Чернігівської та інших областей України є великі поклади крейди. Запропонуйте пояснення, чому так сталося, якщо форамініфери живуть в океанах.

2. Поміркуйте над порадами щодо профілактики зараження малярією за умов відвідування небезпечних регіонів. Створіть інформаційну листівку на цю тему.

Підручник

3. Змоделюйте просту екосистему, яка складається лише з

4.

Одноклітинні еукаріоти (протисти) досить поширені як у прісних водоймах (амеби, евглени, інфузорії), так і в океанах (форамініфери та радіолярії). Захворювання в людини спричиняють малярійний плазмодій, трипаносоми, лейшманії, токсоплазми, дизентерійна амеба та інші. Протисти — важлива ланка ланцюгів живлення в екосистемах, вони самі є джерелом живлення, наприклад, для червів і різних безхребетних тварин. Опорні точки

Поміркуйте й обговоріть ситуацію

У туристичному поході вичерпалися запаси питної води. Тож туристи вирішили набрати чистої джерельної води, профільтрувати її, а потім уже

споживати.

Чи буде вода природного

джерела безпечною для

споживання після фільтрування?

Якщо ні, то запропонуйте спосіб

зробити її біологічно безпечною

для споживання.

Бактерії

Мал. 41.2. Клітина людини (еукаріот), на поверхні якої розташовано

багато дрібних кулястих бактерій (прокаріоти). Усі клітини безбарвні. Аби побачити їх під мікроскопом, вони пофарбовані спеціальними речовинами

Прокаріоти, їхні особливості Прокаріоти — це одноклітинні організми, що не мають ядра (мал. 41.1). Їхня спадкова інформація розташована в певній

Пілі

Клітинна стінка

Цитоплазма

Нуклеоїд (ДНК)

Капсула

Рибосоми

Мал. 41.1. Будова прокаріотичної клітини

До прокаріотів належать

Клітинна мембрана Джгутики

(мал. 41.2). З діяльністю бактерій ви добре знайомі. Наприклад, скисання молока пов’язане з розмноженням і життєдіяльністю в ньому молочнокислих бактерій.

Підручник

Індивідуальна робота Прочитайте фрагмент статті з енциклопедії «Britannica Kids» і дайте відповіді на запитання.

"Bacteria have no nucleus in their cells. Their cells are covered by a cell wall made of murein. They can be motile using one or several flagella to move. On the cell surface there are pili used to attach cells to various objects. Bacteria reproduce themselves very quickly by division in two. Bactria exist in all places, including the soil, air, water or inside and on the surface of other organisms. There is probably no place on the Earth where bacteria do not live — they can be found in all conditions where life is possible!"

Більшість із них мають клітини кулястої форми — це коки; паличкоподібної — це бактерії (без спор) чи бацили (зі спорами); «сарделько-

подібної» — це вібріони; спіральної — це спірили та спірохети (мал. 41.3). Трапляються й інші форми бактерій. Клітини бактерій можуть об’єднуватися в постійні або тимчасові

групи, утворюючи колонії у вигляді ланцюжків, грон винограду, пластинок тощо.

Термофільний

1. Заздалегідь відкрийте

Підручниквидавництво

2.

Мал. 41.4. Анабена — нитчаста ціанобактерія, що здійснює фотосинтез із виділенням кисню

речовин (сполук сірки, заліза та ін.)

Мал. 41.5. Масове розмноження залізобактерій у воді біля залізорудних покладів

видавництво

рення згустків.

Мал. 41.6. Поклади сірки, які

сів життєдіяльності. Серед них є представники, які здійснюють хемосинтез, утворення метану, азотфіксацію — процеси,

Підручник

штучно в метантенках —

пристроях, де органічні відходи тваринництва та рослинництва піддаються мікробному розкладанню з утворенням метану. Це екологічний і дешевий спосіб виробництва палива (мал. 41.8).

До складу білків, ДНК та інших ключових речовин живих організмів увіходить хімічний

елемент — Нітроген. Основне джерело Нітрогену — це газ азот, який на 78 % складає повітря навколо нас. Проте еукаріоти — рослини, тварини, гриби й протисти — не здатні засвоювати азот атмосфери та перетворювати його на нітрогенумісні сполуки організму. Усі вони залежать від бактерій, які здійснюють процес азотфіксації — засвоєння та перетворення азоту атмосфери на нітрогенумісні сполуки, доступні для використання живими організмами. Ланцюжками живлення ці сполуки надходять до інших організмів і до нас із вами. Прикладами азотфіксаторів є азотобактер, бульбочкові бактерії та ціанобактерії.

Азотфіксація — засвоєння та перетворення

азоту атмосфери на нітрогенумісні сполуки, доступні для використання живими організмами.

Взаємовигідні відносини між бактеріями, рослинами та

Мал. 41.7.

Підручник

1 2

партнерські симбіози, адже вони здійснюють фотосинтез та азотфіксацію одночасно. Відомі симбіози ціанобактерій із грибами, які утворюють лишайники. Навіть рослини утворюють із ціанобактеріями симбіози заради доступних сполук азоту. Так, у представників голонасінних

які

1.

Опорні точки

Прокаріоти — це одноклітинні організми, які не мають ядра. Автотрофні бактерії, що здійснюють фотосинтез і хемосинтез, є виробниками органічної речовини — продуцентами — в екосистемах. Гетеротрофні бактерії, які здійснюють дихання та бродіння, в екосистемах є переважно редуцентами — організмами, які розщеплюють органічні речовини до неорганічних. Утворення кисневої атмосфери

фотосинтезу, який

ціанобактерії.

2. Створіть блок-схему екосистеми, яка складається лише з прокаріотів у ролі

центів, консументів і редуцентів (із зазначенням прикладів бактерій кожної групи з тексту параграфа).

3. За оптимальних умов кожні 30 хв кишкова паличка ділиться на дві дочірні клітини. За допомогою табличного процесора розрахуйте кількість бактерій, яка буде за 1, 2, 3 тощо години росту та побудуйте

Підручник

"

Яку користь приносять бактерії?

Із давніх-давен люди використовують бактерії для виготовлення продуктів харчування. До найдавніших біотехнологій належить виготовлення різноманітних кисломолочних продуктів: йогуртів, сирів, квашених овочів та ін. Йогурт утворюється в разі додавання закваски, яка містить болгарську паличку та / або термофільний стрептокок, до пастеризованого молока. Корисні властивості кислого молока та йогурту досліджував видатний мікробіолог і Нобелівський лауреат Ілля Мечников (мал. 42.1). На його думку, болгарська паличка (йогурт) протидіє процесам гниття в травній системі та стимулює імунітет. Завдяки його дослідженням сьогодні ми використовуємо пробіотики — препарати, які містять молочнокислі бактерії для поліпшення стану травних

процесів.

Проєкт «Виготовлення кефіру

або кисломолочного сиру чи йогурту

в домашніх умовах»

1. Вам необхідні закваски, магазинне пас теризоване молоко та мультиварка або інша ємність, у якій можна підтримувати постійну температуру.

2. Домашнє молоко можна пастеризувати в мультиварці за температури 60 °С упродовж 20 хв. Цього часу

Підручниквидавництво

3. За інструкцією додайте

4.

" Ранок"

які додають до продуктів харчування для поліпшення їхнього смаку, кольору, термінів зберігання тощо, — це харчові добавки.

У країнах Європи вони

позначаються кодом, який

починається з літери «Е» та числа

від 100 до 1600. Деякі харчові

добавки є шкідливими, проте багато з них — це безпечні

речовини: оцтова кислота (Е260), натрій глутамат (Е621) та інші.

Підручниквидавництво

Коринебактерії

Амінокислоти: глутамінова кислота, лізин, валін, тирозин, гліцин та інші Харчові та кормові добавки

Пропіоновокислі бактеріїВітамін

Наприклад, тетрацикліни

Лікування бактеріальних інфекційних захворювань

Генетично модифіковані кишкові палички

ють їхню врожайність. В Україні під керівництвом видатного фізіолога рослин С. Я. Коця в Інституті фізіології рослин і генетики НАН України створені

культур: сої, гороху, люцерни та ін. Бактерії, які завдають шкоди Основною причиною псування продуктів харчування є бактерії. Скисання супу, борщу чи соку, затхлі яйця та м’ясо — це результат розмноження в них бактерій гниття (мал. 42.3).

У результаті процесів гниття накопичуються токсичні речовини й утворюються смердючі гази. Недивно, що

гатьох тварин і людини виробилася відраза до запаху цих речовин, оскільки

Підручниквидавництво

діабету Проєкт «Використання

частим інфекційним захворюванням.

Переконайте аудиторію щодо важливості дотримання правил індивідуальної гігієни та здорового способу життя.

Як людство навчилося боротися з бактеріальними інфекціями?

Завдяки працям науковців-мікробіологів з усього світу — Е. Дженнера, Дж. Лістера, Л. Пастера, Р. Коха, Ж. Борде, Д. К. Забо-

лотного та багатьох інших — ми навчилися

боротися з бактеріальними захворюваннями. Запобігання, або профілактика, інфекціям охоплює особисту гігієну, комунальну гігієну (дезінфекція води, очистка стічних вод, ути-

здорового способу життя. Головним методом профілактики тяжких інфекційних захворювань є вакцинація, або щеплення. Наразі вакцини захищають нас від таких бактеріальних інфекційних хвороб, як правець, туберкульоз, дифтерія, кашлюк тощо.

Як лікують бактеріальні інфекції?

Лікування будь-якої хвороби є комплексним і може здійснюватися виключно професійними лікарями. Лише за потреби для лікування

видавництво

бактеріальних захворювань лікарі призначають антибіотики — утворені бактеріями та грибами хімічні речовини, які

вбивають інші бактерії. Найвідомішим із них

Підручник

Дізнайтеся, як антибіотики, які виробляють гриби, змінили життя людей. Які наслідки неконтрольованого застосування антибіотиків?

Поміркуйте й обговоріть ситуацію

Усім добре відомі біологічні

та комп’ютерні віруси.

Ознайомтеся з визначенням «комп’ютерний вірус» і поясніть, що спільного в нього та його біологічних аналогів: коронавірусу чи грипу.

тютюнової мозаїки

Довідка. «Вірус — це невідомий збудник інфекційного захворювання, дрібніший за бактерії, оскільки він проходить крізь бактеріальні фільтри», — писав М. Бейєрінк. Побачити віруси у світловий

мікроскоп тоді було неможливо.

Науковий метод у пошуках невідомого

Наприкінці XIX — на початку XX століття наукова спільнота досліджувала хворобу

Підручник

сказу. Повторивши досліди своїх колег, 1898 року нідерландський мікробіолог Мартін Бейєрінк увів у науковий ужиток поняття «вірус». Перші знімки вірусів були отримані 1935 року завдяки винайденню фізиками Е. Рускою, Г. Біннігом і Г. Рорером електронного мікроскопа 1931 року (Нобелівська премія 1986 року «за роботу над електронним мікроскопом»).

тих, хто вижив, на все життя залишалися рубці на шкірі.

Невідомі поглиначі бактерій

Канадський мікробіолог Ф. д’Ерель помітив, що на поживному агарі, де вирощують бактерії, інколи бувають зони відсутності росту. Хоча зазвичай бактерії повністю покривають

поживне середовище у вигляді суцільного нальоту (мал. 43.3).

Учений вирізав шматочки агару з місць

просвітління, відмив їх у рідині, яку профільтрував крізь бактеріальний фільтр, щоб відокремити бактерії. Потім він наніс фільтрат на нове поживне середовище з бактеріями. Наступного дня науковець спостерігав відсутність бактерій у місцях нанесення фільтрату. Таким чином Ф. д’Ерель відкрив віруси бактерій, які

назвав бактеріофагами, тобто «поглиначами бактерій».

Що ми знаємо про віруси сьогодні?

У навколишньому середовищі віруси пере-

бувають у вигляді дрібних частинок — віріонів. Віріон містить спадкову інформацію. Вона представлена молекулою ДНК або РНК.

Ця спадкова інформація захищена білковою

оболонкою — капсидом (мал. 43.4, с. 210).

Складні віруси можуть мати додаткову оболонку

з ліпідів і білків (мал. 43.5, с. 210).

Для утворення нових частинок, тобто роз-

Підручник

множення, вірусу необхідно синтезувати нові

білки й копіювати свою спадкову інформацію.

видавництво" Ранок"

Віруси — це біологічні об’єкти, які не мають клітинної будови, не є живими організмами, бо їм не притаманні обмін речовин та енергії, подразливість, рух і розвиток.

у яких

спадкова інформація вірусу. Капсид — білкова оболонка вірусу.

Рецептор для розпізнавання клітин ДНК (спадкова

Білковий капсид

Мал. 43.4. Будова аденовірусу людини

Рецептори

Додаткова ліпідна

оболонка

Білкова оболонка

РНК (спадкова інформація)

Мал. 43.5. Будова вірусу імунодефіциту людини (ВІЛ)

видавництво

1234 5 2 3 4

тивується та спричиняє

слизових оболонок чи шкіри (мал. 43.7). Проєкт «Створення інформаційного буклета

Підручник
Ранок"

при

бактеріальних інфекціях.

Головним методом у боротьбі з вірусними інфекціями є профілактика:

• вакцинація від вірусних захворювань;

• здійснення індивідуальної гігієни;

• забезпечення комунальної гігієни;

• дотримання принципів здорового способу життя;

• ізоляція хворих і карантинні заходи для переривання механізмів передачі вірусних інфекцій.

видавництво

Довідка. Самосвідомість кожної людини — під час інфекційної хвороби, навіть у легкій формі, не відвідувати місця скупчення людей, а залишатися вдома до повного одужання, щоб не поширювати інфекцію. Робота

Ознайомтеся з обов’язковими щепленнями згідно з календарем щеплень

Підручник

Поміркуйте й обговоріть ситуацію

збирали

їстівні рослини. А потім вони стали штучно розводити

й вирощувати тварин і рослини.

Чому це сталося? Чим

відрізняється життя людини до й після одомашнення рослин і тварин? Яких переваг це надало людству? Як вплинуло на екосистеми й біосферу?

Підручниквидавництво

зміни, які відбулися

льодовикового періоду. Відбулося це щонайменше 15 тис. років тому. Приблизно

. Нові методи господарства поступово поширилися з перших центрів, де вони виникли, на значні території. На півдні Європі перші

неолітичні землероби з’явилися 9 тис. років тому, а на території України неоліт почався 8 тис. років тому (мал. 44.2).

Одомашнення рослин і тварин було однією

з найважливіших подій в історії людства. Перехід до сільського господарства став причиною росту населення та зумовив розвиток осілих поселень, бо людям більше не треба було кочувати в пошуках їжі та житла, а варто було піклуватися про свою землю. Міста згодом стали центрами формування держав, виникнення писемності, культури, мистецтва й ремесел. Сільське господарство надало стабільне

джерело їжі та інших ресурсів, і сьогодні ми

майже повністю покладаємося на одомашнені

види для нашого виживання.

Одомашнення рослин Люди збирали дикі злаки, насіння та горіхи

задовго до того, як одомашнили ці рослини.

Наприклад, археологічні розкопки на Близькому Сході свідчать про те, що дику пшеницю та ячмінь використовували ще за 10 тис. років до її культивування.

Саме одомашнення рослин почалося приблизно 11–13 тис. років тому зі злаків, таких як пшениця та ячмінь, на

Підручниквидавництво

сільського господарства, яка забезпечує вирощування та одержання урожаїв сільськогосподарських культур, пов’язаних з обробкою ґрунту.

Тваринництво — галузь сільського господарства, яка займається розведенням і використанням сільськогосподарських тварин.

Поділіться своїми

Підручниквидавництво

Східноазійський Центральний і Східний

Китай, Японія, Корея

Середньоазійський

Південно-

Західноазійський

Середземноморський

Абіссінський

Центральноамериканський

Індія, Пакистан, Центральна Азія

Мала й Середня Азія, Кавказ, Іран

Середземноморське узбережжя

Рис, соя, гречка, просо, яблуня, слива, горіх волоський, хурма, шовковиця, мандарин, лимон, апельсин, вишня, чай

Диня, часник, абрикос, мигдаль, яблуня, інжир, горіх волоський, груша, цибуля

Горох, м'які пшениці, ячмінь, жито, льон, айва, абрикос, груша, персик, фінік, диня, шпинат, барбарис

Овес, цукровий буряк, капуста, цибуля, ріпа, морква, хрін, олива, виноград, тмин, селера, кріп, гірчиця, м’ята

Абіссінське нагір'я ЕфіопіїТверда пшениця, сорго, кавун, кавове дерево, бавовна, кунжут

Південна Мексика, острови Карибського моря

Південноамериканський Південна Америка

Сільськогосподарські рослини

Сільськогосподарськими називають рослини, які вирощуються з комерційною або дослідницькою метою. За використанням сільськогосподарські рослини поділяють на продовольчі, кормові, волокнисті, олійні, декоративні

технічні культури. Продовольчі культури

Кукурудза, перець, квасоля, соняшник, гарбуз, тютюн, авокадо

Картопля, помідор, арахіс, ананас, какао

Мал. 44.6. Люцерна є популярною культурою, якою

Мал. 44.7.

(мал. 44.7, 44.8). Текстиль

ють із висушених і оброблених

рослин. Здебільшого

виробництва паперу. Олійні культури, такі як соняшник, рапс

Мал. 44.8. Бавовна, найпопулярніша волокниста культура у світі, збирається з

Підручник

"

Мал. 44.11.

Відпочинок

природі, повітря, насичене киснем

Індивідуальна робота

Оберіть одну із запропонованих

невеличку доповідь.

• Використання людиною лікарських рослин.

• Рослини-спеції.

видавництво

• Виготовлення паперу.

• Виготовлення текстилю з льону.

Запитання і завдання

1. Визначте причини, за яких люди

2.

Підручник

Поміркуйте

й обговоріть ситуацію

Коли в XIX–XX століттях колоністи розселялися по Африці, вони зіткнулися з транспортними проблемами. Їхні коні гинули від місцевих захворювань, увезення коней із Європи було утрудненим. Тоді колоністи вирішили приручити зебру, однак усі їхні спроби були невдалими. Не вийшло в людини також одомашнити бегемотів, лосів, койотів, єнотів та інших тварин, які могли би бути корисними.

Чому так сталося? Які ще

властивості, крім корисності, мають бути притаманні тваринам, щоб співіснувати з людиною?

Індивідуальна робота

Користуючись таблицею

за QR-кодом «Одомашнені

тварини», дайте відповіді

на запитання: «Які тварини

були в господарстві людей, які мешкали в Західній

Азії 5000 років тому?», «Які тварини були

одомашнені в Америці?».

хижаків раніше за людей. Будучи природними зграйними мисливцями,

Підручниквидавництво

35 тис. до 14 тис. років тому.

Приблизно в той же час, коли люди почали одомашнювати

для отримання м’яса, молока та шкіри. Одомашнення худоби було зумовлене необхідністю мати їжу, коли полювання було непродуктивним. Імовірно, передусім були одомашнені невеликі копитні: кози й вівці. Пізніше люди почали приручати великих тварин, таких як воли або коні, для оранки та транспортування. Використання тяглових тварин незмірно збільшило продуктивність сільського господарства.

Таблиця «Одомашнені тварини» rnk.com.ua/106501

Мал. 45.2. Зебра — дуже насторожена тварина. Вона

Розв’язання проблемних питань і завдань із теми

• Які властивості тварин сприяли їхньому одомашненню?

• Як людина вплинула на поширення тварин?

Таблиця «Тваринництво в Україні» rnk.com.ua/106502

видавництво

Люди намагалися одомашнити багатьох тварин… і зазнали невдачі. Здебільшого тварини настільки насторожено

одомашненими, зокрема, зебри (мал. 45.2).

Сільськогосподарські тварини Тваринництво в Україні поділяється на скотарство (розведення й використання великої рогатої худоби), вівчарство, конярство, козівництво, кролівництво, птахівництво; до тваринництва зараховують також бджільництво та шовківництво (див. таблицю під QR-кодом). Відкритий мікрофон

Чому більшість одомашнених

тварин є стадними

або зграйними тваринами?

Чому рослиноїдними?

«Призначення

Підручник

і передусім ми потребуємо їжі. Але ж ми, як і раніше, залишаємося мисливцями і їмо також інших тварин: диких копитних, рибу, молюсків, ракоподібних, у деяких культурах навіть жаб і комах. Поруч із нами завжди є тварини-компаньйони. Це наші друзі: собаки, коти, папуги, які забезпечують нам спілкування, любов і підтримку, а також навчають нас відповідальності та співчуття (мал. 45.3). Важливе

місце, як і раніше, посідає собака. Існує багато порід собак, серед яких мисливські, пастуші, службові, декоративні. Навколо нас живе багато синантропних

видів — таких, що прив’язані до людських

поселень і знаходять там дах і їжу. Наприклад, таргани, миші, голуби. Серед тих, хто живе навколо, багато й небажаних гостей: шкід-

ників сільськогосподарських культур. Ідеться про кротів, колорадських жуків, польових мишей.

Деякі тварини становлять для нас небезпеку.

Це не лише хижаки, зустріч із якими наразі

мало ймовірна. Це не лише отруйні тварини, такі як змії, павуки, отруйні риби або медузи. Це паразити, збудники інфекційних захворю-

вань і їхні переносники. Чимала кількість населення Землі страждає від паразитичних червів, у життєвому циклі яких можуть бути задіяні й свійські тварини.

видавництво

Якщо розглядати тварин на глобальному рівні, то вони є важливими компонентами екосистем. Тварини вступають у різні симбіотичні взаємозв'язки з іншими організмами, наприклад, запилюють рослини та поширюють насіння.

Запитання і завдання

тем: «Службові собаки», «Мисливські собаки», «Декоративні породи собак», «Історія одомашнення кішки».

Підручник

Уявіть, що у вас є власна ферма. Користуючись таблицею під QR-кодом «Тваринництво в Україні», оберіть вид тваринництва, який, на ваш погляд, буде прибутковим у вашій місцевості й корисним для вашої громади.

Яку продукцію ви будете постачати вашим споживачам? Чи будете ви її якимось

1. Як одомашнені тварини відрізняються

Поміркуйте

Підручниквидавництво

вітром, який швидко розганявся на ділянках без

в рослинах, які ми їмо. Для запобігання вітрової ерозії ґрунтів уздовж сільськогосподарських полів висаджуються лісосмуги. Для поливу культурних полів будуються іригаційні споруди — системи

каналів і дамб, які розподіляють воду. Іноді вони дуже змінюють ландшафт і мікроклімат

навколо (мал. 46.2).

Аби підвищити врожайність, поля обробля-

ють гербіцидами та іншими пестицидами. Це хімічні речовини, які пригнічують зростання бур’янів і знищують комах-шкідників. Їхній

надлишок також потрапляє в культурні рослини й у нашу їжу. До того ж серед шкідників триває природний добір на нечутливість до хімікатів, і згодом старі пестициди перестають діяти.

Ефективним засобом підвищення врожайності є виведення нових сортів культурних рослин, які були б адаптовані до жари й холоду, посухи, шкідників та інших умов середовища.

А ще мали б високу врожайність і якість. Зараз у рослинництві спостерігається

традиційної селекції до генетичних технологій, які підвищують стійкість і продуктивність рослин (схема 27).

видавництво" Ранок"

Сівообіг — чергування різних культур на полі, яке знижує виснаженість ґрунтів, зменшує кількість шкідників і бур’янів.

Знайдіть інформацію й виконайте завдання

Підручник

Розгляньте малюнок.

Запропонуйте вирішення проблеми щодо перешкод для

вільного руху тварин у процесі побудови автомагістралей.

поливання культурних полів будують іригаційні споруди

У 50-х роках XX століття

на Дніпрі була побудована дамба Каховського водосховища.

Утворення великої водойми сприяло іригації на великі площі

Півдня України. Влітку 2023 року

в ході військової агресії Росії дамба була підірвана, і Каховське водосховище припинило існування.

Проаналізуйте наслідки руйнування дамби для навколишнього середовища.

Руйнування російськими окупаційними

гуманітарних та екологічних наслідків, насамперед на Півдні

й транспортні

є джерелом забруднення землі, повітря й води. Вихлопні гази автомобілів містять солі

ких металів, сажу та інші

Вони забруднюють повітря, ґрунт, негативно впливають на рослини, що ростуть поруч із дорогами. Шкоду

Підручниквидавництво

рослинності, утворення техногенних пусток навколо великих заводів і викликає захворювання в людини. Для запобігання негативних наслідків на підприємствах переходять до раціональних технологій, використовують екологічні види палива, очищають і багаторазово використовують стічні води, установлюють пило- та газоочисні споруди.

Гідротехнічні споруди (дамби, ГЕС) викликають підвищення

Поділіться своїми думками

Розгляньте малюнки. Проаналізуйте вплив діяльності

людини на ландшафти й екосистеми.

зникнення рослин під впливом

забруднення й вирубки

видавництво

Дізнайтеся про техногенну ката-

Підручник

зменшення різноманіття екосистем під впливом антропогенного забруднення

каналами та технічними спорудами, побудову ГЕС

екосистеми

Агроценози

Мал.

Підручниквидавництво

Сільськогосподарські поля й пасовища називають агроценозами (англ. agriculture — сільське господарство і ценоз — угруповання). Призначення агроценозів — вирощування рослин або розведення тварин для потреб людини. До агроценозів належать поля сільськогосподарських культур, городи, сади, засіяні луки, пасовища, теплиці та оранжереї. Агроценози належать до штучних систем — таких, що створені й регулюються людиною (мал. 47.1). Вирощувані рослини й тварини піддаються штучному, а не природному добору. Агроценози мають

. Вони

різноманітність значно

у більшості природних спільнот. В агроценозах основними продуцентами є

культурні рослини, а консументами — людина або сільськогосподарські тварини (мал. 47.2). Живі організми в агроценозах, як і в природних екосистемах, мають симбіотичні стосунки. Рослини запилюються комахами, птахами та ссавцями. Тварини живляться рослинами й використовують їх як притулок. Дощові черви розпушують ґрунт. Бульбочкові бактерії мешкають у коренях рослин і постачають їм сполуки

витрачає

для їхньої підтримки. Це затрати на механізовану обробку ґрунтів, виробництво хімікатів, боротьбу зі шкідниками, полив. В агроценозах відбувається колообіг речовин, але він не замкнений: мінеральні речовини, засвоєні рослинами, не повертаються в ґрунт, а вилучаються разом із врожаєм. Тому людина змушена штучно вносити в ґрунт добрива.

Агроценози нестійкі. Вони не можуть саморегулюватися й самопідтримуватися. Культурні види настільки змінені селекцією на користь

людини, що не можуть протистояти конкурентам і шкідникам. Без підтримки людини агроценози розпадаються або перетворюються на природні біогеоценози: наприклад, меліоровані землі — на болота, насадження лісових

культур — на ліс.

Міські фітоценози

Наші міста прикрашені штучними рослинними насадженнями — міськими фітоценозами. До них належать парки й лісопарки, газони, клумби, зелені огорожі, ботанічні сади (мал. 47.3).

Фітоценози роблять міське середовище комфортним і є частиною сучасного міського дизайну. Міська рослинність — це притулок і їжа для інших живих організмів: комах, птахів, равликів, гризунів, жителів ґрунтів. Зелені рослини впливають на мікроклімат міста, пом’якшуючи літню спеку, захищаючи від палючого сонця та сильних вітрів. Чагарники й дерева затримують пил та інші

Мал. 47.3. Приклад міського фітоценозу

Підручник

Відкритий мікрофон

відрізняються агроценози й міські фітоценози?

Поділіться своїми думками

Чи варто підстригати газони

в містах? Що відбувається з розмноженням рослин?

Що відбувається з комахамизапилювачами?

Підручниквидавництво

зернових. Близько 30 % території України може бути

шкодження сільськогосподарських підприємств збільшили витрати

Навколишнє середовище як джерело речовин та енергії Природні ресурси — це речовини та енергія, що використовуються людиною (або іншими живими організмами) для підтримання існування й створення комфортних умов життя (схема 29).

Ресурси неживої природи (сонце, повітря, вода, мінеральні речовини)

Вичерпні ресурси (енергія корисних копалин)

Схема 29. Класифікація природних ресурсів

Крім продуктів сільського господарства, людина користується багатьма речовинами з навколишнього середовища для будівництва, промисловості, транспорту та енергетики.

Майже всі джерела енергії, які використовує людина, є збереженими формами сонячної енергії (мал. 48.1). Усі живі організми споживають енергію Сонця, яка фіксується рослинами в ході фотосинтезу й перерозподіляється харчовими ланцюгами. Життя на планеті існує за температур, можливих завдяки сонячній енергії. Енергія біомаси є найдавнішим джерелом енергії, що використовується людиною. Найпоширенішим

Підручниквидавництво

живої природи (живі організми)

Підручниквидавництво

Раціональне використання природних ресурсів

Якщо бездумно споживати природні ресурси, рано чи пізно вони скінчаться. Так уже було в історії людства, коли родючі землі перших землеробних суспільств зазнали опустелювання. Ціною цього стало згасання давніх цивілізацій. Так може статися в майбутньому, коли вичерпаються природні запаси викопного палива. Яку ж стратегію повинне розробити

людство, щоб не повернутися в кам’яну добу?

Треба шукати нові ресурси й переходити на відновлювані джерела енергії, а поки що ми повинні раціонально використовувати ті ресурси, що є. Більше

Знайдіть

видавництво

Запитання і завдання

Підручник

1. Які з природних ресурсів є вичерпними? Невичерпними?

2.

"

точки

Охорона природи

Поміркуйте

мікрофон

МСОП — Міжнародна спілка охорони природи та природних ресурсів (International Union for Conservation of Nature, IUCN). Діяльність МСОП сприяє збереженню біорізноманіття та впровадження екологічно чистих методів використання природних ресурсів.

Всесвітній фонд дикої природи (World Wildlife Fund, WWF) розробляє та здійснює екологічні проєкти щодо

території

ти, відловлювати, колекціонувати, знищувати, а також

Станом на 2023 рік до Червоної книги України занесено 1544 види, з них 687 тварин і 857 рослин.

Залежно від ступеня загрози зникнення, червонокнижні види поділяють на категорії. Книга складається з кольорових сторінок:

• на червоних сторінках — зникаючі види, які неможливо врятувати без уведення спеціальних заходів охорони;

• на жовтих сторінках — вразливі види, чисельність яких швидко скорочується;

• на білих сторінках — рідкісні види, чисельність яких невелика і які існують на обмежених територіях; їм загрожує небезпека зникнення;

• на сірих сторінках — неоцінені види та недостатньо відомі види, які мало вивчені та про які недостатньо інформації;

• на зелених сторінках — відновлені види, які тепер перебувають

• на чорних сторінках — зниклі види. Заповідні та охоронні території України

Біосферні заповідники — це великі природо-

охоронні території, які мають міжнародне значення. Природні комплекси в біосферних заповідниках зберігаються в незмінному стані. В Україні є 5 біосферних

32, с. 234).

Довідка. 1982 року «Грінпіс» досяг розгляду Міжнародною китобійною

відсоток біологічних видів, зокрема тварин і рослин, занесених до Червоної книги України. Чи існує реальна загроза існування для флори й фауни України?

Довідка. Для збереження природних комплексів створюються природоохоронні території: заповідники, національні парки та заказники. У них заборонена або обмежена господарська діяльність, зокрема полювання, сінокіс і вирубування лісу.

взяттям під охорону певних тварин і рослин. Господарська,

Концепція сталого розвитку

Упродовж останніх століть деградація природи й виснаження природних ресурсів відбуваються дуже швидко. Щоб зберегти середовище нашого життя для майбутніх поколінь, ми вже

зараз маємо змінювати технології та поведінку, установлюючи баланс між економічним зростанням і збереженням природних ресурсів. Основні напрями нових підходів означені

Поміркуйте й обговоріть ситуацію

Вам купують новий смартфон, а старий, зламаний, ви викидаєте в смітник. Чи може ваша дія

зашкодити природі? А зменшити

вичерпні ресурси планети?

А якщо протягом року

це зроблять кілька мільйонів

людей? Як діяти правильно?

в Концепції сталого розвитку, яка була представлена на всесвітньому саміті ООН 1992 року в місті Ріо-де-Жанейро (Бразилія). Сталий розвиток означає, що економічне зростання має здійснюватися так, аби берегти природні ресурси, захищати біорізноманіття, а також підтримувати чисте повітря, воду та землю.

«Зелені» технології — це використання технологій і науки для створення екологічно чистих продуктів і послуг. Зелені технології стосуються виробництва чистої енергії, використання альтернативних видів палива, відновлювання ресурсів.

Альтернативна енергетика

видавництво

Скорочення запасів вичерпних ресурсів стимулюють людство на пошук джерел енергії, альтернативних викопному паливу. Сонячна енергія зараз є одним із найдешевших і найуспішніших екологічних технологій (мал. 50.1). Енергія води й вітру використовувалася людиною з давніх-давен. Традиційні

Підручник

Дослідження

людей на довкілля»

Знайдіть у своєму районі приклад шкідливого наслідку діяльності людини для довкілля, проаналізуйте його й запропонуйте вирішення

проблеми.

Індивідуальна

технології та сприяти

родних ресурсів у

A «green house» is designed to use green technology in order to provide itself with energy, purify water, and recycle household waste. Green buildings use solar panels to produce heat and electricity. This energy is used to heat water, which circulates through the pipes and heats the house. Highly efficient thermal insulation of walls and windows reduces heat loss.

тваринництва. Нові технології землеробства можуть зменшити шкоду, спричинену виснаженням ґрунту. Вертикальне землеробство — це інноваційна сільськогосподарська практика, за якої рослини вирощуються у вертикальних шарах (мал. 50.5). Сільськогосподарські культури потребують менше ґрунту, і водночас підвищується ефективність

та води. До того ж більшість електроенергії все ще виробляється з викопного палива.

Вторинна переробка природної сировини

Деякі з природних ресурсів ми можемо використовувати повторно, наприклад, виробляти папір із макулатури або залізо з металобрухту. Вторинна переробка спрямована на збереження обмежених ресурсів шляхом повторного

використання матеріалів. Пластикові, скляні, паперові та металеві відходи — найвідоміші форми вторинної переробки. Більш складним є відновлення сировини з електронних відходів або з автомобільних деталей.

Саме для вторинного використання матеріалів здійснюється сортування відходів. Повторне використання відходів допоможе зменшити глобальну проблему сміття й забруднення навколишнього середовища.

Перетворення відходів є одним із засобів виробництва енергії. Наприклад, на сміттєспалювальних заводах тепло від згорілого сміття використовують для генерації електроенергії. З органічних відходів виробляють один із

видів біопалива — біогаз. Він утворюється в процесі розкладання органічних матеріалів за участю бактерій. Сировиною для виробництва можуть бути залишки врожаю, відходи харчової промисловості й домашнього господарства.

Запитання і завдання

1. Які види енергії

Мал.

значення

§ 13. Покритонасінні рос лини: тканини та

§ 14. Покритонасінні рос лини: будова бруньки, пагона й листка.......................... 75

§ 15. Покритонасінні рос лини: квітка та плід. Значення в екосистемах.............81

§ 16. Покритонасінні рос лини: пристосування до життя на суходолі, суцвіття, запилення й запліднення

§ 17. Дводольні

§ 30. Молюски: різноманіт тя, роль і значення в екосистемах та житті людини ...................................................................................................................

§ 31. Членистоногі: різноманіття, роль і значення в екосистемах та житті людини ................................................................................................................... 150

§ 32. Комахи: різноманіття, роль і значення в екосистемах та житті людини ... 154

§ 33. Загальна характеристика хордових: різноманіття, роль і значення

§ 34.

екосистемах та житті людини .................................................................................. 159

§ 40. Одноклітинні еукаріоти: особливості, роль

Підручник

видавництво

України Видано за рахунок державних коштів. Продаж заборонено

Підручник відповідає Державним санітарним нормам і правилам «Гігієнічні вимоги до друкованої продукції для дітей»

Редактор Т. М. Мишиньова. Технічний редактор С. О. Петрачков.

Підручник

Художнє оформлення В. І. Труфена, Т. В. Задорожної. Комп’ютерна верстка О. Л. Піковець. Коректор Н. В. Красна.

Підписано до друку 17.04.2024. Формат 84×108/16. Папір офсетний. Гарнітура Шкільна. Друк офсетний. Ум. друк. арк. 25,20. Обл.-вид. арк. 15,46. Наклад 57 284 пр. Зам. № 8604-2024

ТОВ Видавництво «Ранок», вул. Космічна, 21а, Харків 61145; вул. Деревлянська, 13, к. 331б, Київ 04119. Свідоцтво суб’єкта видавничої справи ДК № 7548 від 16.12.2021. E-mail: office@ranok.com.ua Надруковано у друкарні ТОВ «ТРІАДА-ПАК», пров. Сімферопольський,

Особливості підручника:

практичний підхід до вивчення предмета

змістовна текстова частина увиразнена яскравим візуальним матеріалом сучасне оформлення

лабораторні, проєктні та дослідницькі роботи

тем STEAM-проєкти — родзинка підручника

Електронний інтерактивний додаток містить:

унікальні анімації, навчальні відеоролики,

Відкриваймо по-новому світ живої природи!

Підручниквидавництво

Turn static files into dynamic content formats.

Create a flipbook
Issuu converts static files into: digital portfolios, online yearbooks, online catalogs, digital photo albums and more. Sign up and create your flipbook.
7 by Орко - Issuu