9789147147472

Page 1


ISBN 978-91-47-14747-2

© 2025 Jonatan Salzer, Michael Mazya och Liber AB Text- och datautvinning ej tillåten.

Förläggare: Kristina Iritz Hedberg

Projektledare: Annika Sandström

Omslag och grafisk form: Nette Lövgren Design

Ombrytning: Integra Software Services, Indien

Illustrationer: Jonny Hallberg, AB Typoform, Integra Software Services, Indien

Första upplagan 2025 1

Repro: Integra Software Services, Indien Tryck: People Printing, Kina 2025

Kopieringsförbud

Detta verk är skyddat av upphovsrättslagen. Kopiering, utöver lärares och elevers begränsade rätt att kopiera för undervisningsbruk enligt BONUS-avtal, är förbjuden. BONUS-avtal tecknas mellan upphovsrättsorganisationer och huvudman för utbildningsanordnare, t.ex. kommuner och universitet.

Intrång i upphovsmannens rättigheter enligt upphovsrättslagen kan medföra straff (böter eller fängelse), skadestånd och beslag/förstöring av olovligt framställt material. Såväl analog som digital kopiering regleras i BONUS-avtalet. Läs mer på www.bonuscopyright.se.

Liber AB, 113 98 Stockholm www.liber.se/kundservice www.liber.se

Innehåll

7 Förord

9 1. Rutinner vstatus 2.0

12 2. Strokelarm – akuta fokala symtom

12 Stroke/TIA

12 Rädda hjärnan – strokelarm

16 Differentiera stroke och stroke mimics

19 3. Ischemisk stroke och TIA

19 Akut reperfusion

22 På strokeenhet

29 Transitorisk ischemisk attack (TIA)

30 Kliniska strokesyndrom

41 Andra cerebrovaskulära tillstånd

44 4. Intracerebral och subaraknoidal blödning

45 Intracerebral blödning

50 Subaraknoidal blödning

55 5. Cerebral ventrombos (sinustrombos)

60 6. Huvudvär k

63 Farlig huvudvärk

64 Annan sekundär huvudvär k

67 Primär huvudvär k

71 Neuralgier

74 7. Yrsel

77 Pågående yrsel med akut debut

80 Attackvis yrsel

86 Icke-rotatorisk yrsel

88 8. Synkope

91 Olika typer av synkope

93 Andra attackvisa symtom

95 9. Epileptiska anfall och epilepsi

96 Akutsymtomatiska anfall

96 Klassifikation av anfall

100 Postiktalitet

101 Differentialdiagnoser

103 Utredning och handläggning av misstänkt epileptiskt anfall

107 10. Status epilepticus

111 Refraktär t status epilepticus

114 11. Rörelsesjukdomar

115 Över vägande hyperkinetisk rörelsestörning

117 Över vägande hypokinetisk rörelsestörning

118 Försämring av Parkinsons sjukdom

120 Cerebellär ataxi

121 12. Akut konfusion och metabol encefalopati

121 Akut konfusion

125 Metabola encefalopatier

131 13. Medvetslöshet/koma

143 14. Hypoxisk–ischemisk encefalopati

143 Hjär tstopp

145 Myoklonier och epileptiska fenomen

146 Prognostisering

147 Komplikationer

148 15. Total hjärninfarkt/död

149 Dödskriterier

151 Br ytpunktsbeslut och brytpunktssamtal

152 Organdonation

153 16. Skalltrauma

159 Commotio cerebri (hjärnskakning)

159 Cerebral kontusion/hjärnödem/diffus axonal skada

160 Subduralhematom

160 Epiduralhematom

161 Traumatisk subaraknoidalblödning

222 24. Myasthenia gravis

227 Myasten kris

231 25. Neuromuskulär andningssvikt

236 26. Neurooftalmologi

236 Synnedsättning

239 Ögonmuskel- och blickpareser

245 Nystagmus

247 Olikstora pupiller och ptos

249 Staspapill (papillödem)

251 27. Kranialner ver

257 28. Perifera nerver

260 Rot och plexus

262 Mononeuropati

264 Polyneuropati och multipel mononeuropati

267 29. Akut neurologisk palliation

273 30. Transport av neurologiskt svårt sjuk patient

276 Register

Förord

Vi började samtidigt på neurologkliniken i Umeå och insåg snabbt behovet av ett strukturerat hjälpmedel för akuta situationer. Det ledde till den för sta versionen av Akut neurologi, som gavs ut 1985. Med åren har det blivit nio successivt utökade upplagor med stor spridning. Det har varit ett privilegium att få följa och bidra till utvecklingen inom akut neurologi under nästan 40 år, och vi vill tacka alla som under åren bidragit till ämnet och boken.

Vi lämnar nu över ansvaret till två yngre kollegor, Jonatan Salzer och Michael Mazya. Med deras erfarenhet och hängivenhet till ämnet kommer de att förvalta och vidareutveckla boken på bästa sätt!

Jan Malm och Lars Johan Liedholm

Det var med skräckblandad förtjusning vi tog oss an arbetet med den nya upplagan av Akut neurologi under vårvintern 2022. Vi har haft Jan Malms och Lars Johan Liedholms bok som en trygghet i fickorna på våra sjukhuskläder. De nötta pärmarna, kaffefläckarna och anteckningarna i marginalen skvallrar om att böckerna är välanvända i frontlinjen på akuten och under nattlampan på jourrummet.

Även om det exemplar som du nu håller i är den första upplagan hos Liber är det den tionde upplagan av boken. Vi är tacksamma över förtroendet att få förvalta det fina materialet. Vi hoppas att våra uppdateringar, tillägg och omstruktureringar uppskattas av dig som läsare. Vare sig du är läkare, sjuksköterska eller student, hoppas vi att boken ska vara till hjälp när du möter patienter med akuta neurologiska symtom.

Vi har fått ovärderligt stöd med faktagranskning och korrekturläsning av Jan Malm och Lars Johan Liedholm samt av Magnus Almeling, Johan Birnefeld, Tobias Cronberg, Albert Hietala, Stefan Isberg, John Karlsson Valik, Ivan Kmezic, Lars-Owe Koskinen, Erik Lindgren, Annika Nordanstig,

1. Rutinnervstatus 2.0

Sammanfattning

Undersökningen är standardiserad, lärs ut på läkarutbildningar och är designad utifrån evidens och mångårig erfarenhet. Den är ett urval av känsliga test som görs för att snabbt hitta avvikelser i många delar av nervsystemet. Komponenterna i rutinnervstatus och deras inbördes ordning är inte en evig sanning utan av nödvändighet en balans mellan diagnostiskt utbyte och tidsåtgång.

Status vid koma beskrivs i kapitel 13, NIH-strokeskala på s. 14, undersökning vid akut yrsel på s. 76 och perifer nervskada i kapitel 28.

Kroppsläge

Patienten undersöks i sittande, liggande och om möjligt stående i den ordning som passar. Det underlättar om undersökaren

p i journalen delar in komponenterna i områden, t.ex. högre funktioner, kranialnerver, kraft, koordination, känsel

p utvecklar ett ergonomiskt arbetssätt så att hen själv och patienten känner sig så bekväma som möjligt.

Vid lätt avvikande eller osäkra fynd kan det vara bra att utvidga/fördjupa testet ”i närheten” av fyndet samt undersöka funktionen på ett annat sätt eller i annat kroppsläge.

Under samtalet

1. Vakenhet (GCS/RLS-85, s. 136–137).

2. Högre cerebrala funktioner: förståelse (blunda! knyt handen!), orientering (person, tid, rum, situation), tal (språklig struktur och ordförråd – dysfasi, samt artikulation – dysartri), minne (tresaksprov), neglekt och räkneförmåga (100 minus 7-prov).

3. Ofrivilliga rörelser eller hypokinesi.

4. Ansiktsmimik.

5. Avklädning (pares, apraxi, neglekt).

Patienten i sittande

1. Ögonbottnar (n. II). Staspapill?

2. Synfält (n. II). Patienten har båda ögonen öppna. Testa höger synfält, sedan vänster, därefter bimanuellt. Vid dålig medverkan: rör handen snabbt, ”hotfullt” mot patientens öga från sidan (blinkar?).

3. Ögonrörelser (nn. III, IV, VI). För fingret i ett ”H” (blickpares?). Håll en halvmeters avstånd för att inte tvinga ögonaxlarna att konvergera.

Undvik extrema ändlägen.

4. Nystagmus. Låt ögonen stanna några sekunder i varje riktning .

5. Ptos. Tillsammans med liten pupill: Hor ners syndrom; med stor pupill: n. III-pares.

6. Pupillstor lek och ljusreaktion. Direkt ljusreaktion i första hand.

7. Ansiktsmotorik (n. VII). Perifer facialispares engagerar även panna, ögonbryn, ögonslutning.

8. Hörsel (n. VIII).

9. Svalgfunktion (nn. IX, X). Lyfter gombågarna symmetriskt? Svälja vatten – hosta?

10. Tungmotorik (n. XII). Be patienten sträcka ut tungan och säga ”äähh”. Är tungan riktad åt sidan? Dysartri?

11. Diadokokinesi. Utförs med en hand i taget. Förlångsammad vid pares, cerebellär lesion eller parkinsonism.

12. F ingerspel. Kombinerar finmotorik och diadokokinesi.

13. Armar-framåt-sträck. Armar/fingrar sträckta och handen helt supinerad. Pronation/fingerflexion/sänkning är tecken på central pares.

14. Muskelkraft i armar. Fingerspretning och axelabduktion testar kraft distalt och proximalt (s. 259). Atrofi eller fascikulationer?

15. Reflexer i armar och ben. Bedöm skillnad mellan sidor samt mellan övre och nedre extremiteter.

Patienten liggande på rygg

1. Sensibilitet för smärta och vibration. Avbruten öronpinne/flisa från träspatel, 128 Hz stämgaffel. Undersök ansikte, händer och fötter. Vibration på tummarnas MCP-leder, stortårnas MTP-leder.

2. Omvänd Barré. Ryggläge med benlyft 90 grader i både höft och knä. Sänkning som tecken på pares i ben?

3. Tonus i hand- armbågs- och knäleder. Nackstyvhet. Rigiditet/spasticitet?

4. Häl–knä-test. Intentionstremor/cerebellär skada? Även patologiskt vid nedsatt känsel eller pares.

5. Babinskis tecken. Använd engångsmaterial, t.ex. skaftet på en öronpinne.

Patienten stående

1. Gångmönster. Observera symmetri, medrörelser, fotlyft, steglängd, vändning.

2. Tå– och hälgång. Testar muskelkraft distalt i benen. Notera asymmetri eller bilateral svaghet.

3. Rombergs prov. Kontrollera att stortårna är ihop. Balansproblem?

4. Finger–näs-test. Intentionstremor/cerebellär skada? Även patologiskt vid nedsatt känsel eller pares.

5. Nigsittning och uppresning. Testar muskelkraft proximalt i benen.

Litteratur

Glick, T.H. (2005). Toward a more efficient and effective neurologic examination for the 21st century. Eur J Neurol, 12:994–7.

Malm, J., Liedholm, L.J. & Lindgren, A. (2021). Nervsystemet. I: Karling, P. (red.). Kliniska färdigheter: mötet mellan patient och läkare. 4 uppl. Lund: Studentlitteratur. S. 221–34. Patten, J. (1996). Neurological differential diagnosis. 2 uppl. London: Springer. (Tidlös bok med grunder och kliniska pärlor i anamnes och undersökning.)

Webbfilm

Rutinnervstatus 2.0. Tillgänglig från vimeo.com/222338506 (lösenord: ”sefilmennu”).

2. Strokelarm – akuta fokala

symtom

Sammanfattning

Kapitlet avser initialt omhändertagande av patienter som plötsligt insjuknat med fokalneurologiska symtom. Orsaken är ofta stroke, men andra tillstånd kan utgöra uppemot 50 %. ”Rädda hjärnan”- eller strokelarmkonceptet skiljer sig mellan sjukhus även om grundstenarna är desamma. Konsultera ditt lokala vårdprogram.

Stroke/TIA

Diagnosen stroke är klinisk och baseras på ett plötsligt insjuknande i fokalneurologiska symtom och fynd i nervstatus. Stroke omfattar infarkter (85 %), intracerebrala hematom, ICH (10 %) och subaraknoidalblödningar (5 %).

Incidensen i Sverige är cirka 200/100 000/år. Medelåldern är 75 år och 20–25 % är yngre än 65 år. Incidensen av transitorisk ischemisk attack (TIA) är cirka hälften av den för stroke.

■ TIA är ett symtom på en akut trombotisk process i kärl eller hjärta som har lett till fokal ischemi i hjärnan. Utan behandling är risken för att insjukna i stroke inom två veckor efter en TIA 10 %, varav hälften drabbas inom två dagar. Nyinsjuknade i TIA inom två veckor remitteras till akutmottagning.

Rädda hjärnan – strokelarm

Snabbt insatt behandling är den viktigaste faktorn för bra utfall. Nycklarna till effektiv handläggning av strokelarm är att:

1. Förbereda sig och larmteamet innan patienten anländer

2. Arbeta parallellt

3. Initialt avstå åtgärder som inte ger direkt patientnytta

4. Träna i team

Förberedelse. Riktad journalläsning – neurologisk och kardiovaskulär historik, vardagsfunktion, läkemedel och vikt. Kontraindikationer för trombolys? Förbered röntgenremiss. Presentationsrunda med larmteamet: namn, roller, vad är känt och vad krävs för snabb handläggning.

1. ABC. Luftväg och andningsmönster. Saturationsmål > 95 %. Vid behov kantarell/svalgtub/intubation. Orsaker till dålig saturation kan vara ofri luftväg (slem, pares, vakenhetssänkning), hypoventilation, aspiration eller atelektaser.

Kontrollera puls och blodtryck. En grön PVK (1,2 mm) i höger arm.

2. Prover. Kapillärglukos och temperatur. Övrig provtagning får inte fördröja handläggning och krävs sällan inför trombolys. Ta blod- och elektrolytstatus, kreatinin, CRP, troponin och NT-proBNP, PK-INR, APTT. Anti-fXa om patienten behandlas med faktor Xa-hämmare. EKG efter start av eventuell trombolys om inte symtom/fynd indikerar högre prioritet (smärta som vid misstänkt hjärtischemi, symtomgivande arytmi).

3. Anamnes, nervstatus/NIH strokeskala (s. 14). Bekräfta akut insjuknande, fokalneurologiska symtom och fynd – är stroke troligaste diagnos? Är symtomen funktionsnedsättande? Uteslut differentialdiagnoser (s. 16). Om stroke inte längre bedöms vara en differentialdiagnos, avblås strokelarmet.

4. DT hjärna kan påvisa blödning men är ofta normal i tidigt skede vid ischemi. Högattenuerande (ljus) artär eller tidiga ischemiska förändringar indikerar oftast artärocklusion. Tidiga ischemiska förändringar är generellt inte kontraindikation för trombolys eller trombektomi (undantag: omfattande utbredning, se kapitel 4). En etablerad infarkt är tydligt lågattenuerande (mörk) med en gräns mot frisk vävnad.

5. DT-angiografi (DTA) visar ocklusion, stenos, dissektion, tromb och spasm i extra- och intrakraniella kärl samt kollateralcirkulation. Nödvändig för ställningstagande till endovaskulär behandling. Vid blödning ger DTA etiologisk vägledning (aneurysm, AVM, fistel, venös trombos etc.) samt spot signs, en riskmarkör för blödningstillväxt (s. 49).

6. DT-perfusion (DTP) visar räddningsbar hotad vävnad (penumbra). Kan vägleda behandlingsbeslut i sent tidsfönster (trombolys för stroke vid uppvaknande eller inom 4,5–9 timmar; trombektomi senare än 6 timmar eller med okänd insjuknandetid). DTP är också användbar för att väcka misstanke om distal ocklusion. En perfusionsstörning i ett mindre område vägleder detaljgranskning av DTA.

7. Intravenös trombolys eller endovaskulär trombektomi vid ischemi, alternativt akut behandling av blödning. Vid ischemisk stroke med funktionsnedsättande symtom kan det finnas indikation för trombolys och/eller trombektomi. Om det saknas indikation för reperfusionsbehandling är frågan om det finns en lesion med hög risk för tidig försämring. En sådan patient kan behöva kontinuerlig övervakning eller överföring till trombektomisjukhus. Om patienten vaknat med symtom räknas tiden för symtomdebut från insomnandet eller när hen senast var symtomfri.

Tabell 2.1. NIH strokeskala. Max 42 poäng (uppgift 5 och 6 testas separat för höger och vänster sida).

UPPGIFT

1a Vakenhetsgrad

1b Orientering

Fråga om patientens ålder och nuvarande månad.

Hjälp inte till. Poängsätt vid fel eller inget svar.

1c Förståelse

Uppmana patienten att sluta ögonen och knyta den friska handen.

2 Ögonmotorik

Testa endast horisontella ögonrörelser.

POÄNG

0. Vaken (RLS 1)

1. Slö, kontaktbar vid lätt stimulering (RLS 2)

2. Mycket slö, kontaktbar vid kraftigt stimuli (RLS 3)

3. Koma (RLS 4–8)

0. Två rätta svar

1. Ett rätt svar

2. 0 rätta svar

0. Utför båda uppgifterna

1. Utför en uppgift

2. Utför ingen uppgift

0. Normalt

1. Partiell blickpares (s. 244) eller isolerad pares av perifer nerv

2. Konjugerad deviation som inte kan övervinnas

3 Synfält

4 Facialispares

5 Pares i arm (5a. höger, 5b. vänster)

Sträck ut armen i 90 graders (sittande) eller 45 graders (liggande) vinkel mot kroppen. Handflatorna nedåt.

6 Pares i ben (6a. höger, 6b. vänster)

Rakt benlyft 30 grader i liggande.

7 Extremitetsataxi

Bedöm endast eventuell cerebellär lesion.

8 Sensibilitet

Testa för smärta (t.ex. ett hårt nyp eller med avbruten öronpinne) proximalt på extremiteterna.

9 Språk

Utifrån anamnes alternativt namnge föremål.

10 Dysartri (sluddrigt tal)

11. Utsläckning/neglekt

Visuellt: bimanuell konfrontation. Kutant: berör båda sidor samtidigt.

0. Inget synfältsbortfall

1. Partiell hemianopsi

2. Komplett hemianopsi

3. Bilaterala synfältsdefekter (t.ex. blind, innefattande kortikal blindhet)

0. Normalt

1. Partiell central facialispares

2. Komplett central facialispares

3. Perifer facialispares eller bilateral facialispares

0. Ingen sänkning

1. Sjunker inom 10 sekunder

2. Faller till sängen inom 10 sekunder

3. Faller omedelbart, kan röra mot underlag

4. Ingen rörlighet

0. Ingen sänkning

1. Sjunker inom 5 sekunder

2. Faller till sängen inom 5 sekunder

3. Faller omedelbart, kan röra mot underlag

4. Ingen rörlighet

0. Ingen ataxi (används också om pares)

1. Ataxi i en extremitet

2. Ataxi i två extremiteter

0. Normalt

1. Lindrig till måttlig nedsättning

2. Svår eller total nedsättning

0. Normalt

1. Lindrig till måttlig dysfasi

2. Svår afasi

3. Global afasi, dvs. svår samtidig impressiv och expressiv afasi, eller stum

0. Normalt

1. Lindrig till måttlig dysartri, kan förstås

2. Svår dysartri, tal kan inte förstås eller vid mutism

0. Normalt

1. Visuell eller kutan ouppmärksamhet

2. Både visuell och kutan ouppmärksamhet

Diffusa symtom, t.ex. konfusion utan andra kortikala symtom (skilj på konfusion och afasi), svimning och generell svaghet, är inte stroke/TIA. Yrsel, dubbelseende, dysfagi, balansrubbning, tinnitus och dysartri kan orsakas av stroke/TIA när de uppträder i kombination med andra fokala symtom.

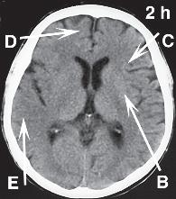
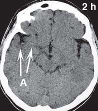
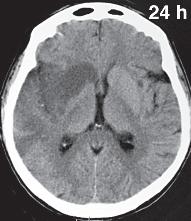
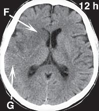
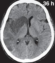
Bild 2.1. DT hjärna som visar utvecklingen av en högersidig mediainfarkt över tid. A. Högattenuerande MCA (trombotiserad mediaartär). Basala ganglier (B) och insulakortex (C), väl avgränsbara i den friska hemisfären (jämför påverkad sida). Utsuddning av demarkationslinjen mellan grå och vit substans (följ de kortikala lagren som omsluter hemisfärerna) (D). Utslätning av kortikala fåror (E) och kompression av ventriklarna (F). Hypodensitet i grå och vit substans (G).

Litteratur

Buck, B., Akhtar, N., Alrohimi, A., Khan, K. & Shuaib, A. (2021). Stroke mimics: incidence, aetiology, clinical features and treatment. Ann Med, 53:420–36.

Webbplatser

NIH stroke scale: www.nihstrokescale.org/

NIH stroke scale training: apexinnovations.com/NIHSS/ (Gratis webbaserade certifieringsprogram för NIH-strokeskalan på engelska. Båda kräver en gratis medlemsregistrering på respektive webbplats. Båda rekommenderas av National Institutes of Neurological Disorders and Stroke, USA. Programmen bygger på det ursprungliga videomaterial som tagits fram av designgruppen för NIHSS och som leder till ett certifikat som även gäller i vissa forskningssammanhang.)

NIH strokeskala (NIHSS): www.gu.se/neurovetenskap-fysiologi/nih-strokeskala-nihss (Svensk manual för NIHSS, inklusive instruktionsvideo.)

3. Ischemisk stroke och TIA

Sammanfattning

p Akuta strokesymtom handläggs omedelbart. Lämna inte patienten innan du tagit ställning till/påbörjat akut behandling.

p Rutiner för trombolys och trombektomi varierar. God kännedom om lokalt vårdprogram behövs för snabb behandling.

p På strokeenhet vårdas patienter för systemisk optimering, övervakning avseende försämring, akut sekundärprevention, screening av sväljförmåga, etiologisk utredning, förebyggande av komplikationer, mobilisering och bedömning av rehabiliteringsbehov. Vård på strokeenhet räddar liv och funktion jämfört med vård på allmän vårdavdelning.

p Vissa patienter kan vara förrädiskt litet påverkade och samtidigt ha hög risk för försämring, bland annat vid akut men inte helt ocklusiv artärsjukdom kombinerad med dålig circulus Willisii, vid flotterande/väggfast tromb eller vid lillhjärnsinfarkt. De har ofta indikation för kontinuerlig övervakning på sjukhus med neurointervention och neurokirurgi.

Akut reperfusion

Inom 4,5 timmar efter debuten kan trombolys ges direkt efter att DT hjärna har uteslutit blödning, om patienten har funktionsnedsättande symtom och saknar kontraindikationer. Vid debut inom 4,5–9 timmar, okänd debuttid eller symtom vid uppvaknande kan DT-perfusion (DTP) vägleda trombolysbeslut genom att påvisa räddningsbar vävnad. Trombektomi kan erbjudas oavsett debuttid om patienten har funktionsnedsättande symtom orsakade av ocklusion i ett stort eller medelstort kärl, förutsatt att inte all vävnad i aktuellt territorium är infarcerad.

8. Åtgärder vid komplikationer. Vid svår huvudvärk, kräkning, sjunkande medvetandegrad, försämring med ≥ 4 poäng på NIHSS eller nytt bortfall i ditintills normalt område utförs DT hjärna omedelbart. Vid intrakraniell eller annan allvarlig blödning, ge omedelbart en injektion intravenöst cyklokapron 1 g på 5 minuter. Kontakta lämplig kirurgisk specialitet. Ta nytt blodstatus, PK(INR), APTT, fibrinogen och blodgruppera. Ring koagulationskonsult för ställningstagande till intravenöst fibrinogen (Riastap/Fibryga) och mer cyklokapron. Om DT hjärna inte visar blödning, ta ställning till ny DTA (ny ocklusion?). Angioödem i mun och tunga (ovanligt): ge Betapred 8 mg intravenöst. Snabb intubation kan krävas.

9. Sekundärprevention efter trombolys. Trombocythämmare eller orala antikoagulantia ges efter uppföljande DT, i regel efter cirka 24 timmar.

Endovaskulär behandling (trombektomi)

■ Snabbt påbörjad behandling är den viktigaste faktorn för att rädda så mycket vävnad som möjligt. Ordna urakut transport till trombektomisjukhus.

Trombektomi övervägs när DTA visar ocklusion i en intrakraniell artär som är åtkomlig endovaskulärt. Symtomen ska motsvara det ockluderade kärlet och vara funktionsnedsättande. Beslutet individualiseras utifrån komplikationsrisk (bland annat beroende på kärlanatomi) och förväntad nytta. Trombolys ges om det saknas kontraindikationer, även om trombektomi övervägs eller planeras. Vänta inte på effekten av trombolys, förbered omedelbart för transport (s. 273), sätt KAD och en extra PVK.

Kontraindikationer:

p Uttalat låg funktionsnivå i vardagen före aktuell stroke, särskilt på grund av tidigare cerebral sjukdom (modifierad Rankin-skala grad 4 eller 5, omfattande eller totalt hjälpbehov med personliga dagliga aktiviteter)

p Annan allvarlig sjukdom före aktuell stroke, med förväntad livslängd < 3–6 månader. Observera att ”palliativ trombektomi” kan övervägas. t.ex. vid ocklusion av en mediagren som ger uttalad expressiv afasi som försvårar kommunikation i livets slutskede.

p Radiologiska kriterier förändras snabbt och skiljer sig delvis mellan sjukhusen. Vanliga kontraindikationer är manifest infarkt motsvarande allra största delen av kärlets försörjningsområde på nativ DT hjärna eller avsaknad av räddningsbar vävnad på DTP.

Övervakning efter trombektomi. Ryggläge med lätt höjd huvudände, hur länge beror på vilken förslutningsmetod som valts för artärpunktionen. Övervakningsschema som efter trombolys (s. 20). Blödning i punktionsstället är vanlig och oftast lindrig, men ibland är den retroperitoneal, omfattande och med allvarliga symtom på blodförlust: andningsfrekvens och puls stiger, blodtrycket sjunker. Vid misstanke, tillkalla anestesijour, ersätt volym och blod och gör akut DT och DTA av buk och bäcken.

Kritisk benischemi förekommer som komplikation efter punktion i ljumsken. Kontrollera perifer puls och kapillär återfyllnad. Vid misstanke, konsultera kärlkirurg akut. Cerebrala komplikationer är ICH (vakenhetssänkning), cervikal eller intrakraniell artärdissektion och arteriell reocklusion (initial neurologisk bättring, därefter försämring).

På strokeenhet

UTREDNING

För optimal sekundärprevention behöver etiologi bedömas och cerebrovaskulära riskfaktorer identifieras. I akutskedet uppstår ofta annan sjukdom som komplikation till stroke, t.ex. pneumoni, UVI, hjärtsvikt eller djup ventrombos/lungemboli.

Anamnes och status

p Omständigheter vid debut (t.ex. valsalvamanöver, drogintag).

p Hereditet för stroke i ung ålder (särskilt upp till cirka 40 år) – koagulopati, familjär hyperkolesterolemi, Fabrys sjukdom, moyamoyasjukdom, Ehlers–Danlos syndrom av vaskulär typ etc.

p Smärta i hals/nacke/öga/kind, trauma – dissektion.

p Dagar till veckor med ny huvudvärk – vaskulit, cerebral venös trombos.

p Åskknallshuvudvärk – reversibelt cerebralt vasokonstriktionssyndrom.

p Akut smärta i bröst, rygg eller buk – aortadissektion, akut koronart syndrom.

p Perifert kärlstatus – skillnad i armblodtryck – aortadissektion eller a. subclavia-stenos.

p Benartärsjukdom – markör för generellt ökad aterotrombotisk risk.

p Känd cancer eller aktuella symtom som kan väcka misstanke – trombosbenägenhet.

p Historik eller statusfynd talande för autoimmun sjukdom.

p Akut eller kronisk infektion.

p Hudlesioner – septiska embolier med petekier på fingrar/under naglar, angiokeratom – Fabrys sjukdom.

p Syn- och hörselnedsättning (hos yngre) – Susacs syndrom.

Prover (dagen efter ankomst). fP–glukos, HbA1c, blodfetter, CRP, urinsticka (för bland annat proteinuri). Bedöm vätskebalans, t.ex. patient som vaknar med stroke kan ligga back ett halvt dygns vätskebehov eller mer, vid ankomst till avdelningen.

DT-angiografi (DTA) om inte redan utförd. Syftet är att avbilda kärlsystemet från arcus aortae till vertex, utröna förekomst av akut tromb, extrakraniell eller intrakraniell stenos, dissektion och andra etiologier (s. 33–40). Vid DTA hos patient med GFR < 45 ml/minut, sätt ut metformin under 48 timmar efter undersökningen och ta nytt kreatinin inför insättning.

Ultraljud av halskärl utförs om DTA är kontraindicerad vid hjärninfarkt/TIA i karotisområdet och för att verifiera och kartlägga stenos.

Telemetri, Holter-EKG eller motsvarande. Beroende på registreringens längd hittas paroxysmalt förmaksflimmer hos 10–25 % av patienter med infarkt/TIA. EKG-registrering i minst 48 timmar och gärna längre, tills flimmer eller annan trolig etiologi påvisats eller patienten ska skrivas ut.

Ekokardiografi utförs vid misstanke om nylig eller akut hjärtinfarkt, hjärtsvikt, förekomst av klaffprotes, misstanke om endokardit. Transesofageal ekokardiografi eller transkraniellt Doppler-ultraljud med bubbelkontrast är indicerat hos yngre (< 65 år) med kryptogen embolisk stroke/TIA (öppetstående foramen ovale).

ETIOLOGI

FÖRSTA STROKE/TIA

Förmaksflimmer/ -fladder

Mekanisk hjärtklaff

Antifosfolipidsyndrom

Direktverkande oral antikoagulantia (DOAK: faktor Xa-hämmare eller dabigatran). Dosreducera endast om det är motiverat enligt Fass.

DOAK kan sättas in direkt vid små till medelstora infarkter och TIA. Vid större infarkt: planera insättning efter en vecka.

Vid infarkt/TIA under pågående DOAK, pausa inte läkemedlet (undantag: stor infarkt).

Vid höggradig njursvikt: warfarin med LMH tills terapeutiskt PK(INR).

Warfarin med LMH tills terapeutiskt PK(INR).

Warfarin med LMH tills terapeutiskt PK(INR)

Karotisstenos Åtgärdas helst inom 2–7 dagar efter insjuknandet, vid stenosgrad > 50 % eller synlig plackruptur med lägre stenosgrad. Stent överväges vid t.ex. restenos efter tidigare karotiskirurgi, tidigare strålning mot halsen, eller begränsad kirurgisk åtkomlighet.

Intrakraniell stenos

Tromb i artärlumen (”flotterande”, ”väggfast”, ”kontrastomfluten”, ”icke-ocklusiv” etc.)

Laddning med både ASA och klopidogrel 300 mg vardera, därefter 75 mg × 1 av båda i 3 månader, därefter monoterapi med endera tills vidare.

LMH i fulldos. Alternativt heparin intravenöst. Akut bolus intravenöst 5 000 E (7 500 E om > 90 kg), därefter infusion med 1 000–1 900 E per timme, beroende på kroppsvikt och önskat APTTintervall (följ lokalt PM, eftersträva minst dubbla värdet av patientens initiala APTT vid ankomst. Överväg tillägg av ASA vid misstänkt aterosklerotisk plackruptur.

Ny DTA efter 3–5 dagar för att se om tromben lösts upp innan vidare åtgärd (ofta finns underliggande stenos). Övervaka patienten med beredskap för trombektomi vid försämring.

Skifta till peroral behandling utifrån etiologi när tromben minskat påtagligt.

RECIDIV AV STROKE/TIA UNDER BEHANDLING

Utröna följsamhet och att dosen är korrekt enligt Fass. Uteslut andra etiologier.

Uteslut klaffdysfunktion och endokardit.

Konsultera reumatolog och koagulationsexpertis.

Konsultera kärlkirurg och/ eller interventionell neuroradiolog.

Överväg stentning om recidiv trots optimal medicinsk terapi med god följsamhet.

Konsultera kärlkirurg och/ eller interventionell neuroradiolog.

ETIOLOGI FÖRSTA STROKE/TIA

Dissektion

Trombocythämning och orala antikoagulantia är likvärdiga på gruppnivå. Antikoagulation i utvalda fall: vid synlig tromb (se ovan), smalt kvarvarande lumen eller ocklusion. Kontrollera med DTA efter 3 månader och sätt ut behandlingen om allt är läkt. Annars, fortsätt i 6–12 månader. Om behandling startat med antikoagulantia, byt till ASA eller klopidogrel vid 3 månader. Vid kvarstående pseudoaneurysm, överväg ASA tills vidare.

PFO Trombocythämning. Kateterburen PFOslutning.

RECIDIV AV STROKE/TIA UNDER BEHANDLING

Vid tidigt symtomrecidiv eller instabilitet, utröna om det föreligger hypoperfusion på grund av smalt lumen och inkomplett Willis cirkel. Konsultera interventionell neuroradiolog.

Vid recidiv på trombocythämning (t.ex. i väntan på PFO-slutning) – överväg DOAK. Vid recidiv efter slutning: akut TEE.

Intrakardiell tromb LMH i 5 dagar, därefter DOAK eller warfarin, konsultera kardiolog.

Dekompressiv neurokirurgi

Expansiv (malign) mediainfarkt. Tidigare relativt frisk patient < 60–65 år med en stor ensidig mediainfarkt (> 1/2 territoriet) kan vara aktuell för hemikraniektomi. Sannolikheten för livshotande masseffekt ökar med infarktstorleken. Patienten ska opereras innan vakenhetssänkning inträder, helst inom 1–2 dygn efter insjuknandet. Ta tidig kontakt med regional strokejour eller neurokirurg. Dessa patienter bör övervakas på universitetssjukhus från tidigt skede, dvs. innan försämring tillstött. Cirka 2–5 dagar efter insjuknandet ses tilltagande ödem och masseffekt med intrakraniell tryckstegring, sjunkande medvetande och pupilldilatation.

Expansiv lillhjärnsinfarkt uppstår av ödemutveckling i en stor lillhjärnsinfarkt (oftast PICA-territorium). Initialt har patienten cerebellära symtom (bild 3.2 och s. 120) och vissa kan vara tämligen opåverkade. Någon till några dagar senare svullnar infarkten och komprimerar hjärnstam och likvorvägar. Patienten drabbas då av huvudvärk, illamående, sjunkande medvetandegrad på grund av ökat ICP via hydrocefalus samt nytillkomna kranialnervs- och/eller pyramidbanesymtom på grund av kompression av hjärnstam. Gör upprepade DT hjärna för att följa utvecklingen. Kontakta

regional strokejour eller neurokirurg tidigt för att diskutera övertagning för observation innan försämring inträtt. Kirurgisk behandling med ventrikeldrän, dekompression eller ventrikulocisternostomi. Kirurgi är tveksam om hjärnstammen fått omfattande skador. MR kartlägger infarktutbredning bättre än DT.

■ Diskutera överflyttning av patienter med stor mediainfarkt eller stor lillhjärnsinfarkt till universitetssjukhus redan första dygnet om de bedöms kunna genomgå neurokirurgi och efterföljande vård. En inklämning kan debutera snabbt och på jourtid; överflyttning i detta skede kan då vara för sen.

Tidig försämring. Risken för försämring, tidigt recidiv och komplikationer är som störst de första dygnen. Kontrollera NIH-strokeskalan (eller förenklad variant) var fjärde timme under första sjukdomsdygnet och var sjätte under de två följande. Hjärt- och andningsfrekvens, saturation, blodtryck, temperatur och glukos följs regelbundet.

Tabell 3.2. Vanliga orsaker till försämring vid stroke.

SYMTOM

ORSAKER

Infarktorsakade Förvärrade neurologiska symtom på grund av utvidgad ischemi (trombpåbyggnad eller hypoperfusion) alternativt tidigt recidiv (ny embolisering från hjärta eller storkärl). Hematom i infarkt. Infarktödem med masseffekt. Akutsymtomatiskt epileptiskt anfall. Hydrocefalus. Eftersök alltid mekanism bakom försämring och genomför riktade behandlande eller förebyggande insatser.

Cirkulatoriska Hypovolemi, hypo- eller hypertoni, rytmrubbning, hjärtsvikt, hjärtinfarkt.

Respiratoriska Hypoxi, pneumoni, lungemboli, atelektaser.

Metabola Hyper- eller hypoglykemi, elektrolytrubbning.

Infektion Feber på grund av pneumoni, urinvägsinfektion eller kutan infektion (t.ex. trycksår)

Farmaka Överdosering, biverkningar, interaktioner.

Gastrointestinala Förstoppning.

Konfusion En kombination av ovanstående orsaker ligger ofta bakom.

Mobilisering påbörjas omedelbart under övervakning, i sängen, till sängkanten och till stående. Om nytillkomna/förvärrade fokala bortfall vid uppsättning/uppresning: uteslut tät stenos eller dissektion som orsak till fokal

hypoperfusion. Hos patient med hjärnblödning: undvik blodtryckstoppar vid mobilisering första 1–2 dygnen – mobilisera under noggrann blodtrycksbehandling. Andningsgymnastik (t.ex. flaskblås), kontraktur– och dekubitusprofylax hos sängliggande patienter som inte kan mobilisera sig själva.

Vätska och nutrition. Ersätt vätskeunderskott. Många patienter som vaknat eller hittats med stroke har redan vid ankomsten ett underskott på 12–24 timmars basalbehov (30 ml vätska/kg/dygn) eller mer. Alla screenas för sväljförmåga inom 24 timmar från ankomsten till vårdavdelningen. Noll per os tills detta är gjort. Vätskelista och kontroller av elektrolytstatus om patienten inte äter/dricker hela sitt basbehov. Kompletterande vätsketillförsel via nasogastrisk sond eller intravenöst. Residualurin kontrolleras. Nutrition utifrån basalbehov via nasogastrisk sond eller intravenöst om patienten ordinerats noll per os eller tillåts äta men inte klarar basalbehovet. Eftersträva normoglykemi.

Blodtryck. Förhöjt blodtryck är vanligt i akutskedet men ska i allmänhet inte behandlas vid hjärninfarkt/TIA. Antihypertensiva pausas om blodtrycket är < 130/80 mm Hg.

Vid uttalat högt blodtryck, > 220/120 mm Hg hos patient med infarkt/ TIA, (ges injektion labetalol (Trandate) 20 mg intravenöst (kan upprepas eller ökas efter 15 minuter). Maxdosen 200 mg/dygn kan överskridas upp till drygt 2 gram/dygn om det ges som infusion under intensiv- eller intermediärvård. Alternativt injektion furosemid 20–40 mg. Detta sänker blodtrycket akut via dilatation av kapacitansvener men har kortvarig effekt (45–60 minuter). Den diuretiska effekten sänker generellt inte blodtrycket och hypovolemi försämrar utfallet hos patienter med stroke. Vid otillfredsställande effekt av cirka 100 mg labetalol, sätt nasogastrisk sond och ge kalcium- och RAS-blockad med krossade tabletter.

Blodtrycksmål och -behandling vid blödning beskrivs på s. 47. Konventionella blodtrycksmål tillämpas cirka en vecka efter insjuknandet (±3 dygn, individualiseras). I första hand ges angiotensinreceptorhämmare eller ACE-hämmare (t.ex. kandesartan eller enalapril) i kombination med kalciumblockad (t.ex. amlodipin). Vid behov ges tillägg av tiazid (t.ex. Salures) och betablockerare (metoprolol).

Blodsocker. P-glukos bör inte överstiga 10 mmol/l under de första sjukdomsdygnen. Om det första akuta värdet är förhöjt eller patienten har diabetes, kontrollera blodsocker 4 ggr/dygn. Ge snabbverkande insulin

Tabell 3.3. Vägledning för TIA-diagnostik.

FRÄMRE CIRKULATION BAKRE CIRKULATION OSÄKER TIA

Ensidig pares, känselnedsättning

Afasi, vanligast expressiv (nedsättning av grammatik och ordförråd)

Amaurosis fugax

En- eller dubbelsidig pares, känselnedsättning

Isolerat vertikalt dubbelseende

Vertigo plus fokalneurologiskt symtom

Homonym hemi- eller kvadrantanopsi

Lutar konsekvent åt ena sidan i sittande eller stående

En- eller dubbelsidig koordinations-, balans- eller gångstörning

Isolerad dysartri (cirkulations- eller allmänpåverkan, intoxation?)

Isolerat horisontellt dubbelseende (latent skelning, cirkulationseller allmänpåverkan?)

Isolerad dysfagi (strukturella gastrointestinala orsaker, cirkulationseller allmänpåverkan?)

ATYPISKT FÖR TIA

Medvetslöshet inklusive synkope

Toniskt och/eller kloniskt anfall

Migrerande sensoriska symtom

Isolerad yrsel

Global synpåverkan med allmän- eller medvetandepåverkan

Retningsfenomen, t.ex. flimmerskotom

Kliniska strokesyndrom

Främre cirkulationen

Största delen av storhjärnbarken försörjs via karotiderna. Fokala bortfall av högre cerebrala funktioner kallas kortikala symtom, skiljs från t.ex. pareser som kan härröra från flera strukturer i hjärna och ryggmärg. De vanligaste kortikala bortfallen vid stroke i främre cirkulationen är expressiv afasi, med nedsatt språkstruktur och/eller ordförråd, impressiv afasi (nedsatt språkförståelse), neglekt (ouppmärksamhet åt en sida), konjugerad blickdeviation samt homonym hemi- eller kvadrantanopsi (kan också orsakas av stroke i bakre cirkulationen). Vid akuta kortikala symtom bör trombektomerbar ocklusion uteslutas. Om paresen i ett ben är mer uttalad än i armen (mindre vanligt) finns ocklusionen ofta i a. cerebri anterior.

a. cerebri anterior

Bild 3.1. Kliniska strokesyndrom i a. cerebri medias och anteriors försörjningsområden.

Lesion Ockluderad artär

a. cerebri anterior

hela territoriet

Infarkt, sagittalplan

övre segmenten av a. cerebri media

lentikulostriala artärer

a. carotis interna

basala ganglier/djup vitsubstans

nedre segmenten av a. cerebri media

Infarkt, koronalplanKlinik

Kontralateral blickpares, hemipares och hemianestesi, hemineglekt (oftast höger), hemianopsi, expressiv och impressiv afasi (vänster)

Kontralateral hemipares och hemianestesi, ibland viss afasi (vänster)

kring ssura Sylvii

a. cerebri media mer distalt

övre MCA-grenar

nedre MCA-grenar

hela territoriet

Partiella och varierande blandbilder av övre och nedre MCA-grenar ovan

Kontralateral hemipares och hemianestesi, blickpares, expressiv afasi (vänster), visuospatial och sensorisk neglekt (oftast höger), parietalt vänster: dyskalkyli

Vänster: impressiv afasi och kontralateral homonym hemieller övre kvadrantanopsi. Höger: kan akut verka asymtomatiskt, faller ut på konstruktionsapraxi –oförmåga att kopiera enkel teckning.

”Bendominerad” stroke, svagare ben än arm. Kontralateral pares och dyspraxi i ben, fot, höft, axel. Känselnedsatt fot. Olika typer av afasi, ibland abuli, mutism

Bakre cirkulationen

Vid aterosklerotisk trombos i a. basilaris eller a. vertebralis finns ofta förkänningar med TIA eller fluktuerande symtom. Vid kardiell embolisering är förloppet mer abrupt. Vid dissektion uppstår artärsmärtan först (lateraliserad i nacke, nedre bakhuvud) och de fokala ischemiska symtomen därefter, inom timmar till dagar. Basilarisocklusion medför hög mortalitet (40 %) och morbiditet, t.ex. locked­in syndrome, koma och persisterande vegetativt tillstånd (kapitel 13), men lindriga symtom förekommer också.

Flera ocklusionslokaler i bakre cirkulationen kan ge extremitets- och kranialnervspareser, hemi- eller tetrapares, ibland asymmetriskt eller sidoväxlande, ögonmotorik- och facialispares, dysartri och ataxi. Lokaliserande kliniska strokesyndrom visas i bild 3.2.

Bild 3.2. Infarktutbredning vid ocklusion av a. basilaris på olika nivåer.

A. Ocklusion i toppen av a. basilaris. Vakenhetssänkning eller konfusion, vertikal ögonmotorikstörning. Homonym blickdeviation ”åt fel håll”, dvs. patienten tittar bort från lesionen. Tromb i a. cerebri posterior: ofta homonym synfältsdefekt och talamiska syndrom (känselnedsättning, afasi eller neglekt beroende på sida). A. cerebelli superior (SCA) avgår från basilartoppen, ocklusion ger ataxi och dysatri. Mekanismen är ofta embolisk.

B. Ocklusion i mellersta a. basilaris. Horisontell diplopi, extremitets- och facialispareser samt via AICA ataxi och hörselsymtom.

C. Ocklusion i nedersta a. basilaris. Ofta samtidig trombos i en aterosklerotisk intrakraniell a. vertebralis och PICA. Symtom från nedre hjärnstammen: balansstörning, ataxi, yrsel, illamående, hicka, nystagmus, diplopi, svalg- och stämbandspares, Horners syndrom, nedsatt känsel för smärta och temperatur i den kontralaterala kroppshalvan och eventuellt i ansiktet.

C. Ocklusion av a. vertebralis innanför duran. Cerebellära symtom med yrsel, ataxi, illamående, hicka, nystagmus och dubbelseende. Även symtom från medulla oblongata: ipsilateralt nedsatt känsel i ansikte, svalg, tung- och stämbandspares (dysfagi och heshet) och Horners syndrom. I den kontralaterala kroppshalvan och eventuellt i ansiktet kan nedsatt sensibilitet för smärta och temperatur förekomma.

B
C

Orsaker till stroke och TIA

Hjärninfarkt hos de flesta äldre orsakas av förmaksflimmer, ateroskleros eller hypertensiv småkärlsjukdom. Hjärninfarkt hos yngre (< 50 år) har ofta annan etiologi, t.ex. dissektion, carotid web eller antifosfolipidsyndrom. Samtidigt kan yngre också ha ”den äldre människans orsaker” till stroke.

Aterosklerotisk storkärlsjukdom

Orsakar 25 % av ischemisk stroke via

p arteriell plackruptur eller endotelerosion som ger lokal trombos, varpå trombmaterial emboliserar till artär nedströms (t.ex. från a. carotis interna till a. cerebri media)

p lokalt ocklusiv trombos i stora eller små kärl

p hemodynamiskt, på grund av tryckfall över uttalat stenotisk/ockluderad artär med otillräcklig kollateral kompensation.

DTA från arcus och uppåt påvisar aterosklerotisk kärlsjukdom. Mekanismerna kan uppträda i kombinationer.

Karotisstenos > 50 % (undantagsfall: lägre stenosgrad med högriskegenskaper bedöms multidisciplinärt för kirurgi eller stent. Åtgärdas helst 2–7 dygn efter insjuknandet.

Stenoser i övriga stora artärer (extrakraniella vertebraler eller intrakraniellt) behandlas farmakologiskt. Vid recidiv av stroke/TIA trots bästa medicinska behandling, överväg preventiv endovaskulär åtgärd.

■ Bedömningen av att en infarkt/TIA orsakats av aterosklerotisk storkärlssjukdom kräver i sig inte en viss stenosgrad; ateroskleros i relevant artärsegment räcker. Däremot påverkar stenosgraden sannolikheten för det bedömda orsakssambandet: lägre stenosgrad  lägre sannolikhet  sök noga efter andra förklaringar innan stenosen utpekas som skyldig.

Småkärlssjukdom (lakunär/mikroangiopatisk infarkt)

Orsakar 20 % av ischemisk stroke. Små lesioner i både främre och bakre cirkulationsområdet kan ge lakunära syndrom (se nedan), ett sjuttiotal finns beskrivna. Dessa syndrom är kliniska med hemisymtom (pares, sensorik, ataxi) och intakta högre (kortikala) cerebrala funktioner.

Antikoagulantia är kontraindicerade vid infektiös endokardit, men används vid icke-bakteriell (inflammatorisk eller malign) endokardit. Vid kontraindikationer för antikoagulantia, t.ex. hög risk för hjärnblödning, överväg kateterburen stängning av vänster förmaksöra.

Öppetstående (patent) foramen ovale (PFO) är vanligt hos yngre patienter (< 65 år) med kryptogen embolisk stroke (se nedan). PFO är en slitsformad öppning mellan höger och vänster förmak. Strokemekanismen är paradoxal embolisering av små venösa tromber från fötter/underben.

Dessa lyseras normalt av lungans höga fibrinolytiska aktivitet men kan under t.ex. en valsalvamanöver slinka över till vänsterhjärtat och embolisera cerebralt. Transesofageal ekokardiografi med färgdoppler och kontrastinjektion behövs för diagnos och behandlingsbeslut. PFO stängs med kateterburen teknik. Remittera patienter upp till 65 år med kryptogen embolisk stroke och PFO till lokal PFO-konferens/team. Trombocythämning är farmakologisk standardbehandling.

Kryptogen embolisk stroke (embolisk stroke med okänt ursprung)

Kriterier:

p Ischemisk stroke som inte orsakas av en lakunär (mikroangiopatisk) infarkt.

p Ingen stenos i intra- eller extrakraniellt i artär som försörjer infarktområdet.

p Ingen kardiell embolikälla (utöver PFO eller septumdefekt).

p Ingen annan påvisad strokeorsak (dissektion, vaskulit, etc).

För antitrombotisk sekundärprevention hos dessa används trombocythämmare.

Arteriell dissektion

Cirka 25 % av hjärninfarkter hos yngre orsakas av dissektion. Oftast spontan (idiopatisk) men ibland orsakad av direkt eller indirekt trauma. Vanlig lokal är extrakraniell karotid eller vertebral strax under skallbasen. Extrakraniella dissektioner kan fortsätta intrakraniellt, medan dissektion som primärt uppstår intrakraniellt är sällsynt.

KLINIK

Dissektion innebär att blod tränger in i blodkärlets vägg (bild 3.3) och kan ge olika typer av symtom:

p Lateraliserad (ibland bilateral, men med sidoskillnad) värk i hals, kind, nacke och/eller huvud, som omedelbart eller med latens på timmar till dagar följs av cerebral embolisering från dissektionen (trombocyter aggregerar kring revan i endotelet).

p Lokal försnävning eller ocklusion orsakad av av vägghematomets kompression och/eller lokal trombos kan ockludera en artäravgång eller ge hypoperfusion i ett större territorium om Willis cirkel är otillräcklig.

p Vägghematom i ICA ger lokalt tryck utåt på sympatiska fibrer eller kranialnerver i omedelbar närhet. Ger Horners syndrom (vanligt) eller pares i nn. III, V eller IX–XII (ovanligt).

p Sällsynt: SAB vid intrakraniell dissektion på grund av avsaknad av lamina elastica externa eller adventitia i intradurala artärer.

p Sällsynt: lokala trycksymtom eller embolisering från (större) pseudoaneurysm. Dessa skiljer sig från äkta dito genom att pseudoaneurysm saknar ett eller två vägglager. Ruptur är sällsynt på grund av kraftig adventitia extrakraniellt.

vägghematom

trombmassa i äkta lumen, kan embolisera

Bild 3.3. Dissektion strax ovanför karotisbifurkationen.

UTREDNING

Dissektion påvisas med DTA. Misstanken stärks om DT (utan kontrast) visar hög attenuering på platsen för artären under skallbasen. Viktigt att få en beskrivning av Willis cirkel på DTA. Vägghematom eller trombos i äkta lumen kan ge snabb progress av lumeninskränkning. Otillräcklig Willis cirkel kan ge hypoperfusion med indikation för stentning.

På strokeenhet utförs klinisk undersökning (anamnes och status)

för eventuellt trauma och medfött syndrom med bindvävsengagemang (Marfans syndrom, Ehlers–Danlos syndrom av vaskulär typ m.fl.). Ärftliga bindvävssjukdomar förekommer hos < 1 % av patienterna med cervikal artärdissektion – genetisk testning endast vid specifik misstanke.

HANDLÄGGNING

Trombocythämning och orala antikoagulantia har snarlik skyddseffekt och komplikationsrisk på ett års sikt. Ofta används 3 veckors dubbel- och därefter singelbehandling. Vid väggfast/flotterande tromb i lumen används ofta LMH i fulldos eller heparininfusion med DTA-kontroll efter 3–5 dygns behandling. Vid dissektion med uttalad inskränkning/ocklusion av lumen kan antikoagulantia vara förstahandsval. Vid intraduralt förlopp, monoterapi med ASA. Bildkontroll utförs hos alla efter 3–6 månader för att utesluta kvarstående stenos eller pseudoaneurysm. Dessa kan medföra ASAbehandling tills vidare. Internationellt rekommenderas behandlingstid 6–12 månader, utsättning tidigare om bildkontroll visar utläkning.

Carotid web

Carotid web är ett hyllformat bindvävsstråk av intimal dysplasi i karotisbulben (ibland bilateralt), utan koppling till ateroskleros eller inflammation. Stråket bildar ett bakvatten posteriort i proximala ICA där blod kan stå stilla, koagulera och embolisera. Risken för ipsilateralt strokerecidiv inom 1–2 år är hög trots trombocythämning. Patienterna erbjuds ofta kirurgi eller stent efter förstagångsinsjuknande i infarkt eller TIA.

UTREDNING

Riktade prover. Ultraljud av a. temporalis och a. axillaris. Temporalisbiopsi från symtomgivande sida. Eventuellt DTA eller MR med angiosekvenser för att utesluta/kartlägga engagemang av större kärl, t.ex. a. carotis och aorta.

BEHANDLING

Vid temporalisarteritmisstanke och synsymtom, ge metylprednisolon 500–1 000 mg/dag intravenöst i 3 dygn. Utan synsymtom, ge 40–60 mg prednisolon/dag i 4 veckor, minska dosen successivt till 20 mg efter tre månader, därefter mycket långsam nedtrappning. Behandlingstid ofta 1–2 år, följ aktivitet med SR/CRP och klinik. Öka till senast effektiva dos vid recidiv.

Annan vaskulit

Hjärninfarkt, ICH och SAB kan orsakas av CNS-vaskulit. Oftast del i autoimmun, inflammatorisk eller infektiös sjukdom, kan sällsynt vara isolerad till CNS – primär angit i CNS (PACNS). Symtombilden är diffus med huvudvärk (60 %), snabbt utvecklad kognitiv påverkan (50 %), epileptiska anfall (15 %) och allmänsymtom. Pleocytos och albuminstegring i likvor styrker diagnosen men kan saknas. Encefalopatin kan vara mer framträdande än de fokalneurologiska symtomen. Vid sekundär CNS-vaskulit ofta symtom från andra organsystem. Behandla med metylprednisolon 1 000 mg × 1 i 5 dagar, därefter ställningstagande till immunmodulerande (t.ex. cyklofosfamid, rituximab) i samråd med erfaren specialist.

Antifosfolipidsyndrom

Lupusantikoagulans och kardiolipinantikroppar är immunglobuliner riktade mot fosfolipider. Utgör riskfaktorer för bland annat cerebral venös trombos, hjärninfarkt och TIA. Diagnosen misstänks hos framför allt yngre patienter, upp till cirka 60 år. Behandlas med warfarin (lågmolekylärt heparin under uppstart). Undvik DOAK på grund av högre risk för recidiv.

Graviditet, puerperium och p-piller

Alla typer av stroke förekommer. I slutet av graviditet och i puerperiet, tänk särskilt på sinustrombos (även som orsak till ICH). Patienter utreds som icke-gravida i motsvarande ålder. Trombocythämning och antikoagulation sköts med fördel multidisciplinärt med strokeneurolog på universitetssjukhus, koagulationsspecialist och specialistmödravård eller obstetriker. Östrogeninnehållande p-piller ger liten riskökning för trombos och hjärninfarkt.

Cancer

Upp till var åttonde patient med ischemisk stroke har eller kommer inom kort upptäckas ha cancer. Både klassiska och mer cancerspecifika strokemekanismer förekommer, såsom: intravaskulär koagulopati och ickebakteriell endokardit (ovanligt). Multipla små infarkter i flera kärlterritorier, kombinerade med förhöjd D-dimer och frånvaro av kardiell embolikälla väcker misstanken och föranleder DT torax–buk–bäcken. De vanligaste cancertyperna associerade med stroke är i fallande ordning lung-, pankreas-, ovarie-, njur-, GI- och bröstcancer.

Protein S- eller C-brist, APC-resistens, antitrombinbrist, protrombinmutation

Protein C har antitrombotisk (inaktiverar faktor V och VIII) och fibrinolytisk effekt. Protein S är en kofaktor som accentuerar protein C:s egenskaper. Antitrombin inaktiverar trombin och aktiverade koagulationsfaktorer (faktor X, IX, XI, XII).

Brist på dessa koagulationshämmare, resistens mot aktiverat protein C (APC-resistens, oftast på grund av faktor V Leiden-mutation) samt mutation av protrombin (faktor II) är hos vuxna associerad med venös trombos och i sällsynta fall ischemisk stroke. Provtagning är motiverad vid cerebral ventrombos och hos yngre med kryptogen embolisk stroke, där paradoxal embolisering från vensidan kan vara en mekanism.

Patienten är vanligen > 50 år. Duration några timmar, max ett dygn. Medvetande, långtidsminne och andra kognitiva funktioner intakta (kan räkna, känner igen välkända personer/platser). Även komplexa, för patienten välkända uppgifter som bilkörning fungerar. Desorientering till tid, ibland plats, men aldrig person. Övrigt nervstatus normalt. Efter attacken amnesi för episoden och timmarna före. Risken för återfall är 15 %.

Genesen är oklar men patienter med TGA har inte ökad strokerisk och trombocythämning är inte motiverad. Differentialdiagnostiskt övervägs hypoglykemi, skalltrauma, konfusion och fokalt epilepsianfall. Har symtomen gått över och anamnesen är klassisk kan patienten i regel skickas hem, men vid kvarvarande symtom bör hen skrivas in för observation. Vid duration > 24 timmar är MR indicerad: infarkt i hippocampus kan ge anterograd amnesi.

Reversibelt cerebralt vasokonstriktionssyndrom (RCVS)

Huvudvärksattacker med vasospasm på angiografi. Kardinalsymtom är episodisk huvudvärk, ofta åskknalls-, upprepas över veckor. RCVS är i regel benignt, men förekommer även i en svår form med SAB, infarkter och epilepsianfall. Drabbar oftare kvinnor. DTA visar omväxlande normalt och konstringerat lumen. Infarkter och blödningar är ofta små, ses bäst på MR. Kärlförändringarna normaliseras inom månader. Likvor är ofta normal eller med liten stegring av vita och albumin.

RCVS förekommer som biverkan av vasoaktiva läkemedel (triptaner, SSRI/SNRI, kokain/amfetamin, MDMA m.fl.), post partum, som komplikation av en dissektion, feokromocytom. Tablett nimodipin (60 mg × 6) och verapamil (initialt 40–80 mg × 3, kan titreras till 160 mg × 3) används ofta. RCVS avklingar inom några veckor om utlösande agens avlägsnas.

RCVS är en viktig differentialdiagnos till ansträngningsutlöst åskknallshuvudvärk, SAB, stroke, vaskulit, dissektion och CNS-infektion.

Posteriort

reversibelt encefalopatisyndrom (PRES)

Karakteriseras av kontinuerlig huvudvärk, synstörningar, epilepsianfall, konfusion och vakenhetssänkning tillsammans med MR-förändringar. Ofta högt blodtryck, men måste inte vara uttalat. I komplicerade fall förekommer även ICH. MR med vasogent ödem med störst utbredning occipitalt och i bakre delarna av parietal, temporal- och ibland frontalloberna.

PRES kan vara orsakat av malign hypertension (hypertensiv encefalopati), akut (eller akut försämrad) njursjukdom, eklampsi, immunsuppression (t.ex. ciklosporin), kemoterapi, elektrolytrubbning, autoimmuna sjukdomar och sepsis. De flesta tillfrisknar när blodtrycket sänks, kausalt agens seponeras och epilepsianfallen behandlas. Differentialdiagnoser: encefalit, ADEM, malignitet, CNS-vaskulit, PML och osmotiskt demyeliniseringssyndrom.

Hypofysapoplexi

Blödning eller infarkt i hypofysen, oftast i ett tidigare okänt adenom. Sällsynt, ett fall per miljon invånare och år. Symtomen är plötslig svår huvudvärk bakom ögonen, synsymtom och illamående. Mer än varannan patient får akut hormonbrist. Vilka hormonaxlar som påverkas varierar. Allvarligast är panhypopituarism och ACTH-brist. Båda ger akut binjurebarkssvikt med hyponatremi, hyperkalemi, hypovolemi, buksmärta och illamående. Blödning kan ses på DT, men MR är prioriterad vid misstanke och behövs för diagnos. Vid klinisk misstanke ges hydrokortison (Solu-Cortef) 100 mg intravenöst, därefter infusion 200 mg/24 timmar samt rikligt med vätska intravenöst, korrigera akut elektrolytrubbning. Involvera endokrinolog tidigt. En minoritet kan behöva akut hypofyskirurgi.

Webbplats

Europeiska strokeorganisationens riktlinjesida. https://eso-stroke.org/guidelines/esoguideline-directory/ (Uppdaterade riktlinjer inom stroke: reperfusionsbehandling, dissektion, intrakraniell stenos, cerebral ventrombos, utredning, sekundärprevention, stroke i relation till kvinnans reproduktiva cykel, moyamoya m.m.)

AKUT NEUROLOGI beskriver handläggningen av patienter som söker för akuta neurologiska symtom. För varje tillstånd får läsaren en beskrivning av symtom, diagnostik, etiologi, differential­diagnoser och aktuella behandlingsåtgärder. De flesta kapitel inleds också med en kort sammanfattning som summerar det viktigaste.

Akut neurologi är en klassiker som har funnits på marknaden i 40 år. Denna nya upplaga fortsätter att följa och bidra till utvecklingen på området. Den har genomgått en omfattande uppdatering, fått en ny struktur och helt nya bilder.

Akut neurologi vänder sig till yrkesverksamma läkare och sjuk­sköterskor samt medicinstuderande och blivande specialistsjuksköterskor inom neurosjukvård och akutsjukvård.

JONATAN SALZER är överläkare i neurologi på Norrlands universitetssjukhus och docent vid Umeå universitet, Umeå.

MICHAEL MAZYA är överläkare i neurologi på Karolinska universitetssjukhuset och docent vid Karolinska institutet, Stockholm.

Turn static files into dynamic content formats.

Create a flipbook
9789147147472 by Smakprov Media AB - Issuu