

![]()


• You'll never have to worry about your teeth slipping or falling out
• No need for adhesive
• Eat and smile like you have had these teeth for your whole life
• Prevent bone loss and gum recession while preserving the jawbone and maintain a more youthful facial structure
• An investment that can last a lifetime

• Increased chewing capacity—eat foods like apples, steak, corn on the cob, and more
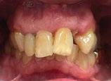
• Same day full-arch restoration with only four implants
• No more traditional dentures & no more denture sores
SHAWN B. DAVIS, DMD Board-Certified Oral
& Maxillofacial Surgeon
TEETH-IN-A-DAY ALL-ON-4© Scan the QR code to schedule your appointment with us today!
• Easy to clean and care for










#FusionIsBetterMedicine
Methylene Blue could be the over-the-counter or compound alternative to Adderall you’ve been searching for, offering a different approach to enhancing cognitive function and focus. Unlike stimulant medications, it works by improving mitochondrial function and supporting brain health.
Discover its potential to reduce brain fog and boost mental clarity—come in and find out for yourself!


Phone: (435) 703-9680
Fax: (855) 853-3465
Email: rx@rx-fusion.com

617 E. Riverside Dr., Suite 104
St. George, UT 84790
Phone: (435) 656-2059
Fax: (435) 656-3059
Email: fp@rx-fusion.com


Health and Fitness
Snow Canyon’s Unique Ecosystem Accessible Trails Are Waiting to Be Explored 14
Core Training to Improve Your Golf Swing ..................................................... 20
Take Advantage of Outdoor Activities during the Summer 22

On The Cover:
Stewart Baxter

Women’s Health: Pregnancy during the Summer Months.................................... Stay to Keep That Glow ................................................
I Only like Riding Downhill ........................ Are You at Risk for Prediabetes? 30
Greenlight Your Favorite Family Dinners
Vista Healthcare: Helping Those Suffering from Accident-Related Injuries
Keep Your Pet Safe and Healthy

Untangling the Threads: Exploring the Differences between Dry Needling Acupuncture
Halitosis or Bad Breath: I Don’t Want Either One

Let’s Get Back to Basics.................................
DIY Car Care for Everyone ..........................
Don’t Let the Tax Tail Wag the Dog
Walk Your Way to Better Health

survivors, shutdown harmful misconceptions, promote consent, and to practice healthy communication with children. Our voices matter now more than ever. How will you use yours to help end sexual assault, harassment, and rape? DOVE Center is our local resource for those who have experienced domestic abuse and sexual assault. DOVE can



Let’s face it: winter can leave us feeling a bit like a cluttered attic. We’ve been hibernating and indulging in comfort food. Maybe our exercise routines have been on a ski vacation (along with our motivation). But guess what? Spring has fully sprung, and just like this season motivates us to tackle the cobwebs and dust bunnies in our homes, it can also inspire us to declutter our health routines!
Let’s face it: winter can leave us feeling a bit like a cluttered attic. We’ve been hibernating and indulging in comfort food. Maybe our exercise routines have been on a ski vacation (along with our motivation). But guess what? Spring has fully sprung, and just like this season motivates us to tackle the cobwebs and dust bunnies in our homes, it can also inspire us to declutter our health routines!
Let’s face it: winter can leave us feeling a bit like a cluttered attic. We’ve been hibernating and indulging in comfort food. Maybe our exercise routines have been on a ski vacation (along with our motivation). But guess what? Spring has fully sprung, and just like this season motivates us to tackle the cobwebs and dust bunnies in our homes, it can also inspire us to declutter our health routines!
As the holiday season approaches, I find myself reflecting on the things I have been blessed with, not just in the big, obvious ways but in the small moments that too often go unnoticed. Life has a way of moving fast— too fast, sometimes—and if we’re not careful, we can miss the little things that make it meaningful.
My friend Dave is the perfect example. A self-proclaimed “professional Netflixer and snacker,” Dave spent most winter evenings glued to the couch, his only companion a giant bag of flavored chips. By spring, he felt sluggish. His clothes seemed tighter, and his energy levels were as low as a dead phone battery.
My friend Dave is the perfect example. A self-proclaimed “professional Netflixer and snacker,” Dave spent most winter evenings glued to the couch, his only companion a giant bag of flavored chips. By spring, he felt sluggish. His clothes seemed tighter, and his energy levels were as low as a dead phone battery.
My friend Dave is the perfect example. A self-proclaimed “professional Netflixer and snacker,” Dave spent most winter evenings glued to the couch, his only companion a giant bag of flavored chips. By spring, he felt sluggish. His clothes seemed tighter, and his energy levels were as low as a dead phone battery.
Gratitude is a powerful force. It shifts our focus from what we lack to what we have, from what went wrong to what is going right. As I look back on my life, I realize how gratitude has shaped my perspective and how it reminds me to slow down and appreciate the journey, not just the destination.
But Dave, bless his heart, is nothing if not resourceful. Inspired by the blooming flowers outside and the urge to finally clean his overflowing junk drawer, he decided to clean up his health, too. Out went the nightly snacking sessions—replaced with a bowl of fruit and Greek yogurt—and in came a brisk evening walk around the park with his four-legged companion, Ruger. At first, it wasn’t easy: the couch had a powerful siren call. But Dave persevered one step at a time.
But Dave, bless his heart, is nothing if not resourceful. Inspired by the blooming flowers outside and the urge to finally clean his overflowing junk drawer, he decided to clean up his health, too. Out went the nightly snacking sessions—replaced with a bowl of fruit and Greek yogurt—and in came a brisk evening walk around the park with his four-legged companion, Ruger. At first, it wasn’t easy: the couch had a powerful siren call. But Dave persevered one step at a time.
But Dave, bless his heart, is nothing if not resourceful. Inspired by the blooming flowers outside and the urge to finally clean his overflowing junk drawer, he decided to clean up his health, too. Out went the nightly snacking sessions—replaced with a bowl of fruit and Greek yogurt—and in came a brisk evening walk around the park with his four-legged companion, Ruger. At first, it wasn’t easy: the couch had a powerful siren call. But Dave persevered one step at a time.
First and foremost, I feel a deep sense of gratitude for my pioneer ancestors who settled this beautiful part of the world. It’s easy to take for granted the fact that I live in such an incredible place, surrounded by stunning landscapes and the comforts of modern life, but I know it didn’t come without a cost. My ancestors made choices that set the stage for everything I enjoy today. Their faith, hard work, and determination laid the foundation for the opportunities I’ve been given. For that, I’m incredibly grateful. Their legacy serves as a constant reminder that the sacrifices of the past continue to shape the future.
Within a few weeks, Dave felt like a whole new person. He had more energy, his clothes fit better, and his confidence surged. The walks became a source of joy, a chance to connect with nature and clear his head. Ruger is loving it, too. Spring cleaning his health did wonders for Dave, both physically and mentally.
Within a few weeks, Dave felt like a whole new person. He had more energy, his clothes fit better, and his confidence surged. The walks became a source of joy, a chance to connect with nature and clear his head. Ruger is loving it, too. Spring cleaning his health did wonders for Dave, both physically and mentally.
Within a few weeks, Dave felt like a whole new person. He had more energy, his clothes fit better, and his confidence surged. The walks became a source of joy, a chance to connect with nature and clear his head. Ruger is loving it, too. Spring cleaning his health did wonders for Dave, both physically and mentally.
How can you tidy up your bad health habits? Here are some ideas:
How can you tidy up your bad health habits? Here are some ideas:
How can you tidy up your bad health habits? Here are some ideas:
• Read more articles. Take time to read all the articles in this issue of St. George Health & Wellness Magazine. Then, apply what you learn.
• Read more articles. Take time to read all the articles in this issue of St. George Health & Wellness Magazine. Then, apply what you learn.
• Read more articles. Take time to read all the articles in this issue of St. George Health & Wellness Magazine. Then, apply what you learn.
• Swap your soda for sparkling water. It may sound simple, but ditching sugary drinks can make a big difference. Add a squeeze of citrus for some flavor!
• Swap your soda for sparkling water. It may sound simple, but ditching sugary drinks can make a big difference. Add a squeeze of citrus for some flavor!
• Swap your soda for sparkling water. It may sound simple, but ditching sugary drinks can make a big difference. Add a squeeze of citrus for some flavor!
• Trade the elevator for the stairs. Your heart will thank you. And those extra steps will help you to reach your daily step count.
• Trade the elevator for the stairs. Your heart will thank you. And those extra steps will help you to reach your daily step count.
In the same breath, I can’t help but feel profound appreciation for our Founding Fathers. They could have settled for the status quo, accepted life under British rule, and avoided the trials of revolution. But they believed in something greater: the idea that freedom, self-determination, and the right to pursue happiness were worth fighting for. Their courage gave birth to a nation that continues to stand as a beacon of hope and opportunity for people around the world. The freedoms we enjoy—freedom of speech, freedom of religion, the right to live our lives as we see fit—are privileges that many around the world don’t have. I often think about the foresight and bravery it took to build this country, and I feel a sense of responsibility to honor these principles in my own life. Living in America, with all its challenges and imperfections, is a tremendous blessing.
• Trade the elevator for the stairs. Your heart will thank you. And those extra steps will help you to reach your daily step count.
• Dust off your workout gear. Remember those fancy yoga pants you bought with good intentions? Time to unleash their inner warrior! Even a short workout is better than no workout at all.
• Dust off your workout gear. Remember those fancy yoga pants you bought with good intentions? Time to unleash their inner warrior! Even a short workout is better than no workout at all.
• Dust off your workout gear. Remember those fancy yoga pants you bought with good intentions? Time to unleash their inner warrior! Even a short workout is better than no workout at all.
• Declutter your kitchen. Get rid of those processed snacks lurking in your pantry. Replace them with fresh fruits and veggies—a vibrant spring bouquet for your insides!
• Declutter your kitchen. Get rid of those processed snacks lurking in your pantry. Replace them with fresh fruits and veggies—a vibrant spring bouquet for your insides!
• Declutter your kitchen. Get rid of those processed snacks lurking in your pantry. Replace them with fresh fruits and veggies—a vibrant spring bouquet for your insides!
• Make sleep a priority. Spring days are longer, so don’t waste them feeling tired. Aim for seven to eight hours of sleep each night.
• Make sleep a priority. Spring days are longer, so don’t waste them feeling tired. Aim for seven to eight hours of sleep each night.
• Make sleep a priority. Spring days are longer, so don’t waste them feeling tired. Aim for seven to eight hours of sleep each night.
But above all, I’m most grateful for Jesus Christ. His life, His teachings, and His ultimate sacrifice form the bedrock of everything I believe. As the holiday season draws near, I’m reminded that the true meaning of both Thanksgiving and Christmas is found in His example of love and service. Jesus taught us to love one another, to be grateful in all circumstances, and to find joy in giving, not receiving. Jesus Christ made it possible for all of us to find hope and peace, no matter our circumstances. For that, I’m endlessly thankful.
Remember, spring cleaning your health is not about drastic changes; it is about making small, sustainable swaps. Think of it as a fun project, a chance to invest in yourself. So, roll up your sleeves, grab your metaphorical cleaning supplies (healthy snacks, comfy walking shoes), and get ready to feel your best this spring!
Remember, spring cleaning your health is not about drastic changes; it is about making small, sustainable swaps. Think of it as a fun project, a chance to invest in yourself. So, roll up your sleeves, grab your metaphorical cleaning supplies (healthy snacks, comfy walking shoes), and get ready to feel your best this spring!
Remember, spring cleaning your health is not about drastic changes; it is about making small, sustainable swaps. Think of it as a fun project, a chance to invest in yourself. So, roll up your sleeves, grab your metaphorical cleaning supplies (healthy snacks, comfy walking shoes), and get ready to feel your best this spring!
As I think about my pioneer ancestors, the Founding Fathers, and the life and sacrifice of Jesus Christ, I’m filled with a deep sense of appreciation. Their lives have shaped mine, and their legacies remind me to live with purpose, faith, and gratitude. This holiday season, I hope to slow down and truly appreciate the little things—the love of family, the warmth of a home, the beauty of the world around me. These are the things that matter most, and they’re often the first things we overlook when life gets busy. As I look to the future, I am resolved to embrace gratitude fully—to recognize that no matter how challenging life can be, there is always something for which to be thankful.

All the Best,
All the Best,
With Love and Gratitude,
All the Best,
Brendan Dalley Editor
Brendan Dalley Editor Brendan Dalley Editor
Brendan Dalley Editor
Brendan Dalley Editor Brendan Dalley Editor


























Who remembers waking up in the morning and heading to the front door—as if on autopilot—to pick up the morning newspaper?
You could find out a whole lot about what was going on in your city by reading the newspaper. You could learn about the local high school baseball team, the new community theater production, and the decisions made at City Hall. Or you could stay up to date on wedding announcements and community meetings.
Newspapers were a habit because we all wanted to be in the know.
These days, however, the news is typically only delivered online or sadly, not at all. It can be challenging for folks to stay connected with what is going on in their community.
At the City, we noticed this trend. That is why our Communications and Marketing Division, led by David Cordero, sees its role largely as being the hub for City news, and they have the tools to make this information available to a large segment of our community.
Let’s start with the website. Launched in April 2024, our new website has a brand new look and a brand new URL: www.sgcityutah.gov. For years, residents used the site to pay their utility bills, get a golf tee time, or enroll their child in flag football. You can still do those things on the new site, but there is so much more! It is a one-stop shop for information about the City of St. George.
Another way our residents devour news is through social media. Our communications team posts often to our Facebook and Instagram accounts. These posts include information about upcoming events, initiatives, road closures, and park openings. It also provides updates on our budget process or a behind-the-scenes look at some of our City services.
In addition to the main platforms for the City of St. George, we have a stellar presence for the Police Department pages (by now, who doesn’t know Officer Mitchell?) as well as those used for recreation, energy services, the St. George Art Museum, and many others!
You’ll find a bevy of information and creative ways in which that information is conveyed. We have made it a priority to tell more stories through video, and our drone efforts have been substantial and exquisite.
In 2025, there are plans to launch a monthly opt-in newsletter, so keep your eyes peeled for that. Have a wonderful holiday season and stay connected with the City of St. George.

Mayor, City of St. George


For Utahns looking to prepare for a new career or advance in their current industry, Utah Tech University has the perfect program to learn new skills and enhance existing expertise. Making it even better, participation is free.
Available through August 31, 2025, Utah Tech’s Learn and Work program offers participants access to over 7,000 online technology workforce development courses that encompass certification pathways, hands-on labs, and skill assessments. The online courses and resources are offered through Pluralsight, which provides specialized education in tech fields, teaching practical technology and soft skills for real-world scenarios. In fact, students can tap into twenty specialized training tracks centered around high-demand technological fields.
In addition to free classes, the Learn and Work program makes it possible for the cost of one industry-recognized certification exam to be eligible for reimbursement upon successful completion.
With round-the-clock online availability, Pluralsight courses are designed to seamlessly integrate into students’ existing commitments. The self-paced structure accommodates various schedules, offering working adults the flexibility they need to succeed. Although participants can tailor their study schedules,
students should plan on dedicating between five and ten hours per week to this program to allow for steady and manageable progress.
Supported by the Utah System of Higher Education, Learn and Work classes do not qualify for college credit but instead, focus on learning new skills and building knowledge. However, students do have the option to apply for prior learning assessments, potentially earning elective credits from Utah Tech University based on their demonstrated proficiencies.
For Jeff Calder, who participated in Learn and Work last year, the program proved to be invaluable. “As a professional in the tech industry affected by downsizing, the opportunity to take classes and earn the Project Management Professional certification has led to a significant increase in the number of interviews I’ve received,” he said. “Without this program, I likely wouldn’t have pursued these courses or the certification. Additionally, I’ve been able to explore other areas of interest, gaining new skills and knowledge that have made me more competitive in the job market.”
To participate, students must have a high school diploma or equivalent and be a resident of Utah. For more information or to apply for Utah Tech University’s Learn and Work Program, visit cares.utahtech.edu






Finding an attainable path to further your education or start a new career can feel overwhelming, especially with the demands of daily life. But Dixie Technical College is here to make that journey more accessible and achievable than ever. With a wide range of hands-on programs and the new TechConnect pathway in partnership with Snow College, Dixie Tech offers a direct route to career success and higher education, saving students both time and money while keeping their options wide open.
Dixie Tech’s focus on providing real-world, practical training gives students the skills they need to enter the workforce quickly and confidently. Whether you’re looking to become a machinist, welder, medical assistant, electrician, automotive tech, graphic designer, culinary chef, or drafter, the training you receive at Dixie Tech is designed to get you career-ready. But what if you’re also thinking about earning a college degree? Maybe you’ve always planned to pursue higher education, or maybe it’s something you’ve started to consider later in life. Either way, Dixie Tech has an answer.
Thanks to the innovative TechConnect program, students at Dixie Tech can now apply the credits they’ve earned in their respective program toward a transferable Associate of Science degree at Snow College. This collaboration opens doors for anyone looking to expand their education without having to start from scratch. The credits earned through Dixie Tech’s certificate programs don’t expire, meaning that even if you graduated ten years ago, your certificate can still be applied toward a degree.
An Associate of Science degree typically requires sixty credits, with thirty credits in general education and thirty in electives. Through TechConnect, you can transfer credits earned at Dixie Tech towards your elective requirements, allowing your elective courses to directly contribute to a high-paying, meaningful career. Gone are the days of having to pay for electives that don’t advance your profession.
One of the key advantages of TechConnect is that it allows students to earn real-world, hands-on experience while also making progress toward a college degree. Dixie Tech’s programs are designed to teach career-specific skills that immediately translate to the workplace. This focus on practical training gives students a competitive edge in their chosen fields. Now, with TechConnect, the same skills that help students succeed in the

workforce can also count toward higher education, creating a bridge between technical training and academic achievement.
It is especially beneficial for those who may already be working in their chosen field but want to further their education without putting their career on hold. The ability to transfer credits can make the transition to a degree more financially accessible and allow students to balance their education with work, family, and other responsibilities. Whether you prefer in-person learning or the convenience of online coursework, TechConnect gives you the freedom to choose what works best for your schedule.
The benefits of TechConnect don’t stop at an associate degree. Once students complete their Associate of Science degree at Snow College, they can transfer their degree to any public university in Utah, providing a clear path to earning a bachelor’s, master’s, or doctorate degree. This ensures that students can continue their educational journey and pursue long-term academic and professional goals.
One of the unique advantages of the TechConnect program is that it allows students to experience the best of both worlds—hands-on technical training at Dixie Tech and a traditional college experience as they continue their education. The combination of career-specific skills with a recognized college degree gives students a competitive advantage in the job market. They graduate with practical, in-demand skills that make them highly employable while also holding a degree that opens doors to further academic and professional opportunities.
Dixie Technical College offers the perfect place to start, no matter what your educational goals are. With the TechConnect pathway, students can save time, save money, and gain the skills to earn a great living while also working toward a college degree. This partnership helps to bridge the gap between technical training and traditional college education and creates a flexible and accessible path for lifelong learning, helping students go further, faster, and with greater confidence.
To see how the TechConnect program can help Unlock Your Potential, please visit https://dixietech.edu/snow-collegetech-connect/, or reach out to us at 435-675-8419.







By Lori Wright, CEO, Family Healthcare

The holiday season can be a whirlwind, challenging our well-being with its busy pace. To help you stay balanced and energized, this guide offers practical tips for maintaining your mental, physical, and emotional health during this festive time.

Holiday treats are everywhere, but keeping a balanced diet is essential for feeling your best.
1. Eat Mindfully.
Savor each bite, and eat slowly to better recognize when you’re full.
2. Stay Hydrated.
Aim to drink at least eight glasses of water daily.
3. Balance Your Plate.
Fill half your plate with vegetables, a quarter with lean protein, and a quarter with complex carbs.
4. Eat Healthy Snacks.
Keep nutritious snacks available to prevent overindulging at parties.
Regular exercise can boost your mood and energy levels.
1. Schedule Workouts. Treat your exercise time like an important appointment.
2. Do Simple Exercises. If you are challenged for time, even a short walk can be beneficial.
3. Enjoy Family Activities. Plan active outings with your loved ones to stay engaged and fit.


Managing your mental well-being is crucial during this emotionally intense season.
1. Set Realistic Goals.
Focus on what truly matters, and let go of striving for perfection.
2. Practice Gratitude.
Take time each day to reflect on what you’re thankful for.
3. Learn to Say No. It’s okay to turn down invitations or requests that feel overwhelming.
4. Maintain Routines.
Stick to regular sleep and self-care routines to stay balanced.
Incorporate mindfulness techniques to remain centered and calm.
1. Breathe deeply.
Spend a few minutes each day practicing focused breathing exercises.
2. Practice Progressive Muscle Relaxation.

Fostering relationships and creating memories are vital aspects of the holiday season.
1. Be Present.
Put away devices, and engage in meaningful conversations with loved ones.
2. Volunteer Together.
As a family, spend time giving back to the community.
3. Start New Traditions.
Focus on creating experiences together rather than giving material gifts.
4. Reach Out.
If you feel lonely, don’t hesitate to seek support from friends, family, or professionals.
Good sleep is crucial for maintaining overall health.

Tense and then relax each muscle group to reduce stress.
3. Take Mindful Breaks.
Take short breaks from holiday preparations to recharge.

1. Stick to a Sleep Schedule. Keep consistent bedtimes and wake-up times.
2. Create a Relaxing Bedtime Routine.

Engage in calming activities before sleep.
3. Limit Screen Time. Avoid screens for at least an hour before bedtime to improve sleep quality.
Remember, true joy during the holidays comes from balance, connection, and self-care rather than perfection. By focusing on your well-being, you are giving yourself the greatest gift: a holiday season that leaves you refreshed and ready to welcome the new year with optimism and energy.
Wishing you a joyful, healthy holiday season and a vibrant new year from all of us at Family Healthcare!
Lori Wright is the CEO of Family Healthcare. With more than twenty-seven years of experience in community health, she is passionate about developing equity, where everyone can access high-quality integrated primary health care. Family Healthcare’s mission is Making Lives Better, and as CEO, Lori’s efforts are focused on improving the overall health of the patients and the communities Family Healthcare serves.
Lori serves on a variety of committees across the state and throughout Washington and Iron Counties. She is a member of the St. George Area Chamber Board of Governors, Zions Bank Southwestern Advisory Board, and Association of Community Health Centers Board. She also serves on the AUCH Health Center Control Network and is a member of Castell’s Clinically Integrated Committee. Lori has completed a BS in Community/Public Health and holds a Master of Public Administration from Brigham Young University, Marriott School of Management.
•
•
Welcoming
Walk-In and same-day care
Integrated
Welcoming new patients
Treatment of illness, injury, and chronic conditions
Women’s
Women’s
Integrated medical, behavioral, dental & vision care
Walk-In and
Sliding scale fees based on income and family size
Discount
Discount drive-thru pharmacy*
Sliding
Compassionate,
Compassionate, experienced providers



• Donate online at familyhc.org/give
• Scan the QR code
• Mail your donation to 276 E. Riverside Drive, St. George, UT 84770
• Volunteer by calling 435-986-2565
Your support helps ensure that all community members, regardless their circumstances, access the they need without of being turned of
Donations are
under section 501 (c)(3) of the IRS code. Tax ID #35-2163112

By the Washington County Board of Realtors®

The “American Dream” has evolved over the years to look different from person to person, but what hasn’t changed is the dream of homeownership. Owning a home—a place to call your own—is unique. A home is where you gather with family and friends, and it’s not just about creating a physical space to gather; it’s where you craft a lifetime of memories and establish traditions that will last long after you’re gone. Owning a home is about the present and the future because the memories you create become part of a legacy, and each gathering and celebration, along with little daily rituals, contribute to a legacy of love and belonging.
As the seasons change and the Southern Utah climate shifts into fall and winter, residents are busy decorating for special occasions and preparing for the holidays. The turn of the calendar often marks an influx of homebuyers in the market, and a larger selection of homes can lead to more favorable conditions for potential buyers. This is especially true in the Washington and St. George areas.
Fall and winter are a great time to take advantage of the energized market and find a home where you can create lasting memories. Local REALTORS® have been helping residents navigate Southern Utah’s dynamic real estate market,
and that includes guiding them to take advantage of the potential tax benefits and seller motivation that come with a home purchase around the holiday season.
Owning a home allows you to bring people closer, and personalizing your space allows you to create an environment that supports your lifestyle. Use the expertise of a REALTOR® who can help you find a home that best fits the needs of your family. This offers stability and creates a comfortable space that reduces holiday stress and becomes a place where stories are told, a family history is shared, and who you are is embedded in every corner.



By Marianne Hamilton
“Well, are we gonna finish this or what?”
At that precise moment, those were hardly the words Ricky Urias expected to hear from his daughter, Serina. After all, the then 20-year-old was exhausted, every fiber of her body was scorched and screaming, and tears were pouring down her face. Then again, she’d never hiked more than twelve miles or climbed more than 1,500 feet of elevation prior to that day back in May.
By the time she issued the challenge to her dad, Serena had covered a total of thirty-six miles in twenty-four hours— including 6,000 feet of climbing—pacing Ricky through the final stages of his most ambitious endurance run to date. When the pair made it to downtown Flagstaff, Arizona, ninety-seven hours and two minutes after Ricky had set out from Black Canyon City, he became one of just 202 intrepid souls who finished the 2024 Cocodona 250 (for the uninitiated, that is 250 miles). But in Ricky’s estimation, no accomplishment
could have topped that of sharing the moment with his youngest daughter.
“It was absolutely amazing,” the Ivins resident confirmed. “We had many tearyeyed embraces at the end.”
Ricky’s conquest of the grueling event wasn’t exactly unexpected. His life has been devoted to fitness and physical prowess, encompassing stints as a semipro football player, mixed martial arts (MMA) fighter, coach, and highly competitive marathoner. He admits that it wasn’t until the latter role became obsessive that he found what he believes to be his true calling.
A three-year stretch in semipro football had ended when Ricky was twenty-one, when he realized that feeding his young family needed to become his priority. “I was good but never great enough to play outside of a recreation league team,” Ricky admitted. “I had small kids and needed to provide for them versus chasing my football dreams.”
But first, there was the MMA chapter. In his mid-twenties, Ricky became a fan of cage fighting events. An ad seeking possible warriors attracted his attention. In short order, he was competing as “Rage Rhino,” a moniker born of a line from the Adam Sandler-Jack Nicholson movie Anger Management. Said Ricky, “We were watching the film one night, and in one scene Nicholson walks into Sandler’s house and says, ‘Well, isn’t this the lair of the rage rhino.’ My wife looked at me and said, ‘That’s you.’ It stuck perfectly.”
Due to fluctuations in Ricky’s weight and fitness levels, he faced off against every possible competitor, from 155-pounders to 205-pound opponents. Finding success— and feeling better—at a lower weight, Ricky mostly enjoyed MMA matches. But when he lost to a fighter who was revealed to have taken a performance-enhancing drug, his faith in the sport was shattered. Despite the judges overturning their decision, he chose to walk away from MMA.
“It was so demoralizing; I’d spent two months of my life getting ready for that match. I’d fought wrestlers who were strong, but this guy just had weird strength, which made sense after he failed the drug test. I never went back,” Ricky said.

Fortunately, the universe had other plans for him. During his prefight prep, he’d run the 2010 Utah Valley Marathon. Despite over-training that resulted in a blown out IT band (the long, fibrous sheath stretching along the lateral thigh) and a final time of 5.5 hours, Ricky made it over the finish line. From then on, he was hooked on distance running. Promising himself that he’d never return to his heavier weight, Ricky eagerly registered for and completed a flurry of 26.2-mile races.
A chance chat with St. George Running Center employee and avid runner Levi Hawks was to change the trajectory
of Ricky’s athletic career. Having just finished the Zion Half Marathon and placing fifty-fourth out of 1,000 competitors, Ricky shared his excitement about his time with Levi. “He said, ‘If you get some structural training or a coach, you’ll probably be in the top ten next year,’” recalled Ricky. “I found a coach and worked with her for about a year. Then I went back to the Zion Half, cut about twenty-four minutes off my time, finished fifth overall, and was the fourth male. I owe Levi a lot because he dropped that seed in my ear.”
Many of Ricky’s longer runs took him on Southern Utah’s most beautiful trails. To his surprise, he felt the happiest in that environment. “I realized that I really enjoy trail running; it was way more the vibe I was looking for,” he said. “Being out, seeing nature, and going at my own pace was much more enjoyable than the super competitive races. I could turn my brain off and just be free from any worries…well, aside from falling down!”
Fast-forward to 2024. With multiple half-marathons and 50Ks under his belt and having coached a number of local athletes through their first endurance runs, Ricky felt he was ready for the Cocodona challenge. He registered through the Wander Project, an organization that provides entrée into races for athletes who commit to raising funds for various charities. Ricky pledged his $1500 fundraising efforts to Bigger Than the Trail, a nonprofit that provides services to those struggling with mental health.
On race day, Michele, Ricky’s wife, served as crew chief, with Ricky’s father, Pat, as part of the support team. What followed were hours upon hours upon hours of the most challenging terrain and elevation gains imaginable. Sleeping less than an hour each of four days and struggling with exhaustion, caloric deficits, and hydration depletion (at one point, leading to hallucinations), Ricky and his pacers somehow kept going. Then, with twentytwo miles remaining, Ricky informed his wife that sleep and food were imperative. When he awoke forty minutes later, Serina, now beginning her second stint as his pacer, joined him. Together, they conquered the final 3,800-foot climb, which required fortytwo switchbacks, and made the ultimate descent into Flagstaff. With a mile to go, Serina delivered her query: “Are we gonna finish this or what?” It was more than enough to propel Ricky across the finish line, tears of gratitude streaming down his face.
“I could tell she was dying. Her body was on fire, but she didn’t want to disappoint me. It was such a special moment,” Ricky said. Then pausing to reflect on his achievement, he added, “I haven’t really posted about it on social media because I still don’t believe it was real…and I don’t want to lose that feeling. My time didn’t matter; getting to finish with Serina was one of the very best moments and memories from that race.”
These days, Ricky works in customer service for UltrAspire, makers of hydration and lighting gear for ultra runners. He’s also transitioning into a coaching role, encouraging and instructing

new endurance athletes to discover the joys of trail running. He stays race-ready, putting in sixty-five to seventy miles weekly. But his focus now is on the journey and not on how quickly he reaches his destination.
“If I turn in a good time, that’s great, and if I set a personal record, even better,” he noted. “But now, I don’t want the stress of having to prove anything else.”
Marianne L. Hamilton is a veteran journalist and marketing writer whose work appears in regional and national publications. When not race walking or teaching water aerobics, she serves on the board of the Art Around the Corner Foundation. She and her husband, Doug, are also co-administrators of the St. George Wine Club, founders and co-directors of the United States Power Walking Association, and race directors for the Huntsman World Senior Games. Marianne was crowned Ms. Senior Universe 2022-2023 and is executive director of the Senior Pageants Group. A proud breast cancer survivor, she is a member of the Intermountain Healthcare Oncology Patient-Family Advisory Council.

By Dr. Benjamin Carter
Recently, I had a forty-year-old patient come in complaining that her face was always red. She had not noticed any pimples or pus bumps on her face; she was just red. She noted that her dad had a similar appearance, and she also reported that the redness got worse with exercise, when the weather was hot or cold, and when she ate certain types of foods. She occasionally had burning and tingling that accompanied the increased redness. She was diagnosed with erythematotelangiectatic rosacea.
Rosacea is a relatively common skin disorder affecting adults. It occurs principally in women between the ages of thirty and fifty but can affect men as well. It presents with persistent redness of the face, specifically the cheeks and nose, and occasionally the forehead.
Rosacea has at least four clinical subtypes.These include:
• Papulopustular
• Erythematotelangiectatic
• Phymatous (glandular)
• Ocular rosacea
Papulopustular Rosacea
This subtype is often referred to as “adult acne.” It presents with red bumps and pus bumps (whiteheads) on the affected skin. There can also be substantial background redness of the central face. A history of flushing or blushing is common in patients with papulopustular rosacea. There can be underlying swelling of the skin, causing a more “full” appearance to the affected skin. Burning or stinging of the skin is less common in this subtype.
Erythematotelangiectatic Rosacea
This subtype is likely associated with genetic tendencies toward flushing or blushing reactions. These reactions can occur to numerous and varied stimuli, such as cold and heat, spicy foods, hot drinks, alcohol consumption, emotional stress, exercise, and exposure to hot water. This subtype of rosacea is frequently accompanied by a burning or stinging sensation, which is most notable during the flushing response of full facial redness. Skin changes can occur over time and include prominently visible blood vessels (telangiectasia), scaling, and roughness.

Phymatous Rosacea
Also known as glandular rosacea, this subtype is characterized by swelling and

edema of the skin and a more coarse texture of the skin. There are red bumps and white heads present as well, but these are typically larger, more red, and deeper in the skin. The central face is most commonly affected, with the chin more common in women and the nose more common in men. Over time, the sustained inflammation that causes the red bumps and white heads can cause permanent enlargement of oil glands and underlying tissues to create a bulbous, round, and swollen appearance to the nose or cheeks.
This subtype can be found in isolation affecting only the eyes or can occur in combination with any of the other subtypes of rosacea. It is characterized by keratitis, iritis, and episcleritis. This means that specific parts of the eye become inflamed, and as a result, itching, burning, stinging, or painful gritty sensations can occur. Light sensitivity and a “something is stuck in my eye” feeling can also be present. Ocular rosacea occurs equally in men and women. It is important to bring up any eye concerns you may have with your dermatologist if you are discussing the possibility of having rosacea, as this can affect treatment options. The cause of rosacea remains unknown, but research has demonstrated elevations in the levels of specific markers associated with inflammation. Most treatments applied topically or taken by mouth are designed to disrupt these abnormal elevations and reduce inflammation. There are numerous topical treatments for rosacea. Oral doxycycline may be used for more severe cases and for ocular involvement. New creams have been developed for redness, and laser treatments can also help reduce or completely eliminate underlying redness and visible blood vessels.
For more information or to schedule an appointment with Riverside Medical, please call 435-628-6466 or visit their website at riversidemedicalarts.com
Dr. Benjamin Carter was raised in St. George, Utah, and attended Dixie State University and the University of Utah (Spanish major) prior to moving to Milwaukee, Wisconsin, for medical school. He attended the Medical College of Wisconsin (2002-2006) where he was recognized for his academic excellence with his election to the Alpha Omega Alpha Honor Society in 2005. He completed dermatology residency training at the Medical College of Wisconsin (2007-2010). Dr. Carter practices general medical and surgical dermatology. He enjoys evaluating and treating children and adults for all manner of skin conditions. Whether it is warts, rashes, or skin cancer, Dr. Carter will work hard to provide you with personalized up to date dermatologic care. He currently resides in Santa Clara, Utah, and is married to Janae. They have five children. Ben enjoys spending time with his family at home and in the outdoors.


By Tiffany K. Gust, MS, NBC-HWC, CEP
As athletes age, maintaining optimal fitness becomes crucial for overall health and performance. Among various training methods, Zone 2 training has gained significant attention for its benefits in enhancing endurance and metabolic health. Supported by research from organizations like the National Academy of Sports Medicine (NASM), and the American College of Sports Medicine (ACSM), Zone 2 training offers valuable insights for aging athletes looking to optimize their performance and well-being.
Dr. Peter Attia, physician and longevity expert, advocates for Zone 2 training due to its profound physiological benefits. He explained, “Training in Zone 2 helps to build a strong aerobic base, which is critical for overall endurance and cardiovascular health. It improves mitochondrial function, increases capillary density in muscles, and enhances the body’s ability to utilize fat as a fuel source.”
Zone 2 training refers to exercising at a moderate intensity where the heart rate is maintained at approximately 60 to 70 percent of an individual’s maximum heart rate (MHR). This intensity level is characterized by a pace where an athlete can still hold a conversation, often termed as the “talk test.” This training zone is pivotal for improving aerobic capacity and fat oxidation, making it especially beneficial for aging athletes who need to balance performance with recovery.
“Train slow to run fast,” advised Dr. Howard J. Luks. “Low heart rate Zone 2 cycling, swimming, rowing, and running are key to improving performance and minimizing the risk for developing stress-related injuries.”
1. Enhanced Aerobic Capacity: As individuals age, their aerobic capacity tends to decline. According to a study published by the ACSM, Zone 2 training helps mitigate this decline by improving the efficiency of the cardiovascular system. Regularly exercising in this zone enhances mitochondrial density and capillary networks, which are crucial for efficient oxygen transport and utilization.

2. Improved Metabolic Health: The National Academy of Sports Medicine emphasizes that Zone 2 training aids in optimizing fat metabolism. This is particularly important for aging athletes who may experience shifts in metabolic rate. By training at this moderate intensity, athletes can improve their body’s ability to burn fat as a primary energy source, which is beneficial for maintaining a healthy body composition and reducing the risk of metabolic disorders.
3. Reduced Risk of Injury: Zone 2 training is less stressful on the musculoskeletal system compared to high-intensity training. For aging athletes, this lower intensity reduces the risk of overuse injuries and allows for effective cardiovascular conditioning without the strain associated with more intense workouts.
4. Enhanced Recovery: The importance of recovery cannot be overstated, particularly as one ages. Zone 2 training promotes better recovery by increasing blood flow and facilitating the removal of metabolic waste products.
Practical Application
For aging athletes, incorporating Zone 2 training involves finding the right balance between intensity and duration. It’s recommended that athletes engage in Zone 2 workouts for thirty to sixty minutes per session, three to five times per week, depending on individual fitness levels and goals. This approach ensures that the training remains sustainable and effective without overwhelming the body.
Heart rate monitors and other training tools can assist in maintaining the desired intensity level. Additionally, integrating Zone 2 training with other forms of exercise, including strength training and flexibility work, can provide a well-rounded fitness regimen that addresses multiple aspects of physical health.
Zone 2 training stands out as a valuable method for aging athletes seeking to enhance their endurance, metabolic health, and overall fitness while minimizing the risk of injury. Backed by research, this training approach provides a balanced solution that aligns with the physiological changes associated with aging. By embracing Zone 2 training, aging athletes can continue to achieve their fitness goals and enjoy an active, healthy lifestyle. This type of training is one of the four essential “pillars of exercise” for maintaining health and physical capabilities as we age and is arguably the single most important tool we have at our disposal for improving and sustaining the health of our mitochondria, which are central to our cellular aging and metabolic health.
If you are interested in learning more about fitness assessments to enhance your training, including Vo2 max testing, contact us at Intermountain Sports Performance 435-251-2256 or email tiffany.gust@imail.org.




About the Author Mountain bike veteran, amateur filmmaker, and lover of long rides, Jay Bartlett has been riding trails in Southern Utah for over thirty years. Jay has over a decade of experience as a bike mechanic at St. George’s oldest bike shop, Bicycles Unlimited.
My wheels whir across the fallen leaves that are still full of color from their autumnal parade: yellows, reds, oranges, and greens both below and above me. The leaves still attached to their limbs in the trees flutter and shimmer in the cool breeze. The shrubs along the trail are showing the rust of a long year, with the grays and browns of their stems showing through more eagerly as the tired leaves drop away.


By Jay Bartlett
I round a bend, pedaling with engaged effort to gain momentum for the next short climb, listening to an unusual noise coming from my wheels as their knobbies dig and grasp at the trail’s surface. The varied sounds of dried, drying, or wet leaves mixes in harmony with the familiar dialog of gravel and dirt, rocks and roots. Where the leaves are deep enough, the ride becomes very quiet with just the assorted hisses and whispers from my tires as the trail winds through the trees.


It’s time—again—to stop for that irresistible photo, much to the chagrin of my riding partners. The autumn sunlight brings out the colors that have been washed out so harshly by the summer’s straight-overhead, nuclear spotlight. Shadows have become long and soft. With the click click of my camera, I’m off again, but my poor choice for a photo op location compels me to stand as I pedal so that I can build momentum to scale the large root ahead (more grumbling from my riding partners).
It’s noon as I pedal up a long climb, making almost constant steering adjustments to miss the myriad rocks strewn about the trail. The time of day is a fact that isn’t lost on me. I welcome the cool temperatures and soft wind after a very intense summer that didn’t want to give up on the triple-digit oven that relegated me to early morning rides only lest I feel its wrath. Being able to


ride any time of the day is one of the great gifts of fall. Sleeping in, walking the dog, or doing a few chores while still having the opportunity to go for a ride creates a feeling of freedom that makes life a bit simpler.
The trail turns downhill, and I sling through the corners like a proper surfer riding a wave: essing back and forth between trees; flicking my bike in quick, carving motions; using anything from rocks to roots to plant my tires and keep me on track. Things are different today from the preceding months: the fall weather has endowed the earth with rain, making the dirt tacky. The damp trail shakes hands with the rubber of my tires with a firm grasp that holds me tight to my line down the trail. Gone (for a bit) are the white-knuckle, two-wheel drifts of summer, when I was just hoping my tires would bite in before I bit some bark off a tree. A confident smile takes to my lips as I head into the next set of turns.


I turn upwards toward the summit of my ride into the afternoon wind and sun that create a psychedelic kaleidoscope through the multi-colored canopy. I remind myself to keep my eyes from wandering too much—there is riding at hand. As I crest the peak, I find myself automatically coming to a stop, dumbfounded. Before me, rolling into the distance, are hillsides painted in autumn’s palette. The cycle of the seasons spins around again like the wheels of my bike. Just as the leaves will soon die only to be reborn again in spring, this ride will end. But after a rest, another will be ready to begin.










By Coleen M. Andruss, MD
Creating balance physically as well as mentally is tough, but it is critical for your health during the busy holiday season. If you are stressed over maintaining your weight, staying healthy, deciding on the gifts you will give to your loved ones, fitting all of the holiday parties and activities into your calendar, managing your finances, and keeping up with your work and travel schedules, now is the time to learn to optimize balance.
Sugar-based and rich, fatty foods have long been part of holiday celebrations. Along with this comes the worry about holiday weight gain. Overeating and overdrinking are very common during the holidays because of social influences. Social eating occurs because we let others influence us into a feeling of obligation. Overindulging is also a common way for people to cope with stress. But does indulging really make


you feel less stressed? Ask yourself how you are going to feel after you have had several drinks or several brownies?
Get rid of the all-or-nothing mindset. Indulge with intention, and have a plan that allows it. Deprivation leads to frustration. Make a list of the foods you really love and crave, and build them into your plan. Pick those indulgences that matter the most to you so you don’t overdo it. Prepare ahead, and be intentional. You can have one of your favorite cookies: savor the indulgence, eat slowly, and enjoy it to the fullest. Then, be done.
The holidays are not a free pass to overindulge because it “only comes once a year.” Food is not a reward. Food is fuel.
Dr. Coleen Andruss practiced as an internist for ten years and has specialized in weight management for twenty-nine years. She and her staff have personally experienced weight management issues and have a compassionate understanding of patients in the Healthy Lifestyles program. Dr. Andruss’s internal medicine background helps her to see underlying medical problems when formulating individual plans that work.
Don’t abandon healthier eating habits over the holidays by relying on resolutions you intend to make after the new year. Research shows that 80 percent of people give up on their resolutions by February.
Eat slowly,and wait twenty minutes before going back for a second serving. Studies show that it takes that long for fullness signals to hit the brain. Eat mindfully, and indulge with intention. Use smaller plates, and eat something before going to a party or gathering so that you don’t overdo it. To avoid feeling deprived and to maintain balance, allow an occasional indulgence throughout the year and throughout your life.
With the holiday season comes the increased risk for colds and illness. Eating healthy helps your immune systems. 70 percent of your immune system is located in your gut, so a healthy gut is imperative. Foods you consume interact with the bacteria in your gut and with the immune cells in your body. Good gut health is the foundation of overall health, balance, and well-being and has been shown by the
CDC to prevent disease and promote a good immune system.
Realize, however, that this needs to be consistent and lifelong and that changing over the holidays alone is not going to cure your gut microbiome. Prioritize a balanced relationship with food long term. This will lead to changes in digestion, decreased bloating, less gas, and less stomach rumbling.
Keep your gut health strong through the holidays. Add more fiber, fruits, and vegetables. Add fermented foods, such as yogurt, kombuchas, and sauerkraut to
help digestion. Probiotic foods with good bacteria buffer stomach acid and increase the chance that those good bacteria will make their way through the entire digestive system. If you are not getting the probiotics through food, a supplement is critical for healthy metabolic balance.
Exercise and move your body to improve blood flow and to increase the movement of food through the digestive system. Stay hydrated with plenty of water, and get enough sleep. Your body repairs while you sleep, so consistently getting the rest your body needs will improve immune function and overall health.

To maintain balance, don’t forget about fitness. Americans typically exercise less in the winter months and even less during the holiday season. Establish an exercise routine that you can maintain. Any kind of movement is beneficial; just get off the couch, grab your sneakers, and go.
Balancing your mind can prove to be difficult, especially during the end-of year holidays. Holiday stress comes in varying degrees, but remember that with this stress comes the beauty of the holiday season. Appreciate the special music, twinkling lights, and decorated trees.
Mental health and physical health are exquisitely connected. Studies demonstrate that good mental health prolongs life and poor mental health leads to physical diseases that decrease it. Many of the stressors over the holiday season are those that we put upon ourselves. Ask yourself, “Am I overdoing holiday plans and preparation, or have I done enough?” Lean on those around you to help and ease your stress by delegating.
Ease the financial burden of the holidays with its accompanying commercialism and materialism by respecting the family budget. Purchase gifts that do not cause financial stress. Give something that creates joy, is food for the soul, and balances mental health. Consider giving the gifts of your time to family and friends or volunteering for a charitable cause.
Be kind to yourself, your family, and others, and disengage when needed. Be mindful; maintain moment to moment awareness of thoughts and feelings, and be fully present without being overwhelmed or overreacting. This will balance your health and keep you grounded. Practice gratitude by reminding yourself every day of at least one thing for which you are grateful.
Keep it simple. Focus on your values, the way you want to live your life, and how you want to be remembered. These are not things you check off on a list. Journaling your values can help you to be mindful and grounded. Find peace in your body and mind this holiday season by seeking joy and finding pleasure in small moments and things. Remember, a little balance is all it takes to have happy, healthy holidays.
By Dr. William Plumb, DDS

Something that I commonly see in my practice as a general dentist is a condition we call abfraction.These lesions are not caused by bacteria and are not considered to be decay. We find them on the outside surface of the teeth down by the gumline. It’s likely that if you run your fingernail over your teeth down by the gums, you’ll detect some little notches.These notches are caused by flexure of the tooth structure.
We put a lot of pressure on our teeth, and sometimes, that pressure is enough to cause the teeth to flex slightly. Now, enamel is really hard, but similar to other crystals, it does not flex well. If the forces create enough flexure, it can cause the enamel to become detached from the underlying tooth structure, and it splinters and flakes. This typically occurs at the gumline where the enamel is thin. It manifests as a v-shaped notch.
Abfractions aren’t usually bothersome. Sometimes, they catch food or cause sensitivity to touch or to temperature. Many remain untreated throughout a patient’s life. When I do treat them, I usually bond composite resin over the affected site. The treatment is minimally invasive (we’re not sacrificing any additional tooth structure), and many times, it can be done without using anesthetic. The tooth structure is cleansed and dried, a bonding agent is applied, and the resin is placed and molded into position. It is then hardened by a curing light. Lastly, the filling is smoothed and polished.
It is reasonable to wonder why a lesion should be fixed if it doesn’t hurt. The reason that you should consider having these abfractions sealed is because once the enamel is gone, a softer substrate called dentin is exposed to the oral cavity. We know that the mouth is a violent place. Our tissues are constantly being exposed to abrasive forces (both in the hard foods we eat as well as our hygiene habits) along with erosive forces that are present due to the acidic nature of some of our common foods and beverages. The dentin is not designed to hold up against these forces, and these lesions can progress rapidly.
I know a lot of dentists like me who prefer to err on the conservative side of dental treatment. Often, we elect to watch these lesions and defer treatment until observed progression has occurred. If you visit your dentist regularly and good records are kept, including intraoral photographs, then discovering any advancement in the abfraction is straightforward. As soon as there’s notable progression, an appointment can be scheduled to seal the lesion and protect the tooth.
One final recommendation your dentist might make would be the use of some type of mouthguard. These lesions occur because of excessive pressure that is being exerted on the teeth. Wearing a guard while you sleep serves to distribute occlusal forces evenly across all the teeth, minimizing the pressure applied to any particular area of your mouth. I would recommend a mouthguard made of hard material. Soft guards protect your teeth, but they sometimes cause more clenching, which can lead to issues with the temporomandibular joint (TMJ). I often will give my patients an appliance that not only protects the teeth but also prevents clenching and grinding. It’s called an anterior bite plane, and it works great.
Be sure to see your dentist often. Your dentist can work with you to guide you towards any needed treatment that will help you enjoy a healthy mouth and a healthier life.
Plumb Dental offers general dentistry for the entire family, including preventative care, root canals, implant restoration, cosmetic work—even whole smile makeovers. To schedule an appointment, call (435) 673-9606 or visit our website at plumbdental.com.

About the Author Dr William Plumb graduated from the State University of New York School of Dentistry in 2006. He opened Plumb Dental in St George, Utah, in 2009. He has received extensive continuing education in cosmetic dentistry as well as oral surgery and implantology. Dr. Plumb loves living in southern Utah with his wife Kari and their four children.









The last thing a mother of six wants to hear at a doctor’s appointment is that she has breast cancer. But when Amanda Roberts heard this news, she knew she was in good hands with the experts at Intermountain St. George Regional Hospital, which is located near her home.
“I can’t say enough good things about our cancer center here in St. George,” said Roberts, who underwent whole genome sequencing at diagnosis and recently completed her individualized breast cancer treatments. “Having this treatment here has been incredible and made my journey so much easier. I can’t imagine having to travel or getting better care than the care I received at Intermountain St. George Regional Hospital.”
In November, the community can help more patients like Amanda access expanded, advanced, and personalized cancer treatments at Intermountain St. George Regional Hospital by participating in the fortyfirst annual Jubilee of Trees.
Jubilee of Trees, hosted by the Intermountain Foundation, is open to the public from November 21–23, 2024, with a Gala Dinner and Auction on Friday, November 22, at the Dixie Convention Center in St. George, Utah.
Individuals and families are invited to join an open-house style holiday event celebrating the spirit of charitable giving. All proceeds benefit patients at Intermountain St. George Regional Hospital.
“We are committed to ensuring anything that can be done with cancer, from screening to treatment to support for survivors, can be done here with expertise and compassion to ease the strain on families,” said Derrick Haslem, MD, medical oncologist at Intermountain St. George Regional Hospital.
“Community philanthropy at the Jubilee of Trees has a huge impact on our work,” Dr. Haslem added. “We invite the community to participate in the Jubilee of Trees this year and rally around this cancer center, which has become emblematic of our community’s fight against cancer.”
Intermountain St. George Regional Hospital serves Utah’s third-fastestgrowing city. Now more than ever, cancer patients need access to its leading clinical experts, complex and unique cancer treatments, and survivorship care.
“Participating in the Jubilee of Trees will support these advancements and bring new hope to the spectrum of cancer patients served at Intermountain St. George Regional Hospital,” said Loriana De Crescenzo, executive director of the Intermountain Foundation.
“Philanthropy is critical to the advancement of our expertise, to the patient experience in the way we deliver proactive care for people at risk for cancer, to providing multidisciplinary care for patients on the urology-oncology cancer journey and patients on the gynecology-oncology journey, and to meeting the needs of those in survivorship,” she added. “We urge our community to step forth in support and are grateful for their example and generosity.”
For tickets and information, visit intermountainhealthcare.org/foundation/ jubilee-of-trees

Thursday, November 21–23
Dixie Convention Center

By Annelies Newman, RDN, CD
You may have heard the following maxims: “If you fail to plan, you plan to fail.” and “If you succeed in planning, you plan to succeed.” To lift these ideas to a joy-filled holiday, consider the words of a friend who expressed the following: “Creativity is the opposite of anxiety.” Why fear the future when you can create it?
Taking time to plan healthy holiday traditions and being creative about them can fill your holiday with that festive cheer that lasts. Hopefully, these traditions will carry you through your New Year’s celebration with some pizzazz left for the next big holiday! So let’s create a holiday you will want to remember and repeat for years to come.
First, slow down and take time to plan healthy, colorful food for those upcoming celebrations. If this feels like drudgery, ask yourself an engaging question: “How can I make the meal colorful, satisfying, and fun?” I once took a veggie tray that looked like a Christmas tree to a Christmas party. Rows of broccoli, cucumber, and green bell peppers formed the branches of my “tree.” I topped it with strips of yellow bell peppers for the garland and sprinkled on red cherry tomatoes and olives for the ornaments. Lastly, I used crackers for the base with a pineapple star on top. It was amazing how so many children wanted to try a sample of my tree. When it comes to children, every small taste of fresh veggies helps!
Second, consider a staple holiday salad that is unique for the season, something you could enjoy two or more times a week. We all need something easy and quick to prepare during the holidays. One year, when pomegranates came on heavy, our family discovered how to use them on a green salad. We started with a base of green leaf lettuce and spinach and topped it with pomegranates, pears, and pecans. The final touch was a drizzle of homemade raspberry vinaigrette. It was the most tasty and beautiful holiday treat. We snapped the photo of a family member, who professed to never eat greens, not only sampling the salad but actually finishing it. Now we have evidence!
Third, prepare the traditional holiday foods your family enjoys but bump up its health quotient and ease up on the calories a bit. For example, when preparing mashed potatoes, use half potatoes, half cauliflower, and season with broth and spices to cut back on the butter. It is still tasty and satisfying, but it contains a smaller portion of carb calories and saturated fat. It might help you save room for that favorite planned dessert.
Fourth, remember that moderation is key. To strive for a perfectly healthy, all-ornothing holiday season can sometimes leave cravings on high alert. Consider your truly favorite “must-have” foods and plan ahead to have them. If a table of treats is glowing before you, slow down before you fill your plate. Look at everything, and ask yourself, “What is my favorite? What have I already tasted before and don’t really need to try again? How do I want to feel after sampling?” Then, make your decision. Look at you, planning on the fly!
I hope these four suggestions will help spark some of your own creative ideas. Have a truly festive holiday season!
Annelies Newman, RDN, CD, received her bachelor’s degree from Brigham Young University with a major in nutrition and dietetics and a minor in music. She is a speaker and presenter on nutrition related topics. Currently, she owns a private practice guiding individuals to make changes for better health and wellness. On the side, she enjoys adventuring with her husband and three little boys outdoors. She believes that real food is good for the body and should be enjoyed!



By Jessica Elgin, REALTOR®
Imagine this: The first light of dawn paints the horizon as you step onto your private terrace, coffee in hand. Ahead of you, the rugged beauty of Zion National Park rises against the clear sky only twenty-five minutes from your front door. You take a deep breath, embracing the promise of the day—one filled with both adventure and serenity— at Obsidian Resort & Residences.
This is more than just a home; it’s the beginning of a new chapter.
The Call to Adventure
Your day starts with options as limitless as the landscape that surrounds you. A quick five-minute drive takes you to Sand Hollow State Park, where the sparkling reservoir beckons for a morning of boating. Or perhaps you’re drawn to the thrill of the nearby Coral Pink Sand Dunes, ready to tackle the expansive trails in a side-by-side, the wind and sand rushing past as you explore miles of uncharted desert.
For those who crave a more leisurely escape, a short drive to Sand Hollow, Sky Mountain, or Copper Rock Golf Clubs offers pristine greens and sweeping desert views, making it the perfect spot for a round of golf beneath the sun. Adventure is always just a heartbeat away.
As the afternoon sun softens and the day’s adventures come to a close, you return to the sanctuary of Obsidian. Here, nestled within thirty acres of beautifully landscaped courtyards and serene gardens, your home awaits: a two- or three-bedroom residence that feels both luxurious and welcoming.
Designed in collaboration with the award-winning Sims Patrick Studio, every detail of your residence reflects the surrounding natural beauty. Open floor plans flow seamlessly into outdoor living spaces where the stunning desert landscape is framed perfectly, as if nature itself were a part of the design. Inside, a chef’s kitchen with custom natural wood cabinetry and an expansive island invites family gatherings and culinary creations, while large windows bathe the space in the warm glow of the setting sun.
At Obsidian Resort & Residences, your lifestyle is one of ease and refinement. Upon arrival, the resort’s dedicated hospitality team ensures every detail is taken care of. From valet services to luggage assistance and a concierge ready to curate personalized adventures, everything is designed for effortless living. And with the unique in-house rental program, your home can work for you, creating an investment that is as carefree as it is rewarding.
As evening falls, you stroll through one of the themed courtyard gardens, the soothing sound of water trickling from the fountain and the glow of the outdoor fireplace setting the scene for a quiet moment of reflection. Perhaps tomorrow, you’ll take a lazy afternoon by the resort’s 25,000 square feet of pools, soaking in the calm waters of the lazy river or unwinding in a private cabana.
Set just moments away from some of the most iconic landscapes in the world—Zion National Park, Bryce Canyon, and the sweeping vistas of Southern Utah—Obsidian is more than just a place to live. It’s a destination within a destination. You’re part of a story that weaves together adventure and elegance, with nature’s grandeur and human craftsmanship intertwining at every turn.
In the heart of Southern Utah’s infinite beauty, Obsidian Resort & Residences stands as a place where every day is a new adventure, and every return home is a peaceful retreat. This is your story—one of luxury, adventure, and effortless living. Welcome to Obsidian. Welcome to your next chapter.



By the Southwest Spine & Pain Team
Chronic low back pain can steal precious moments, such as spontaneous road trips, special hugs, and long-lost workout routines. While over-the-counter pain medications, heat, or massage therapy can offer temporary relief, what do you do when these regular tricks aren’t working?
Dr. Derek Frieden, completed his fellowship training in interventional pain management at Harvard Medical Center. His advanced training enables him to find solutions to complex pain problems.
For over fifteen years, Dr. Frieden has treated locals in St. George, Utah, including busy moms, weekend hikers, and retired seniors, all forced to slow down their lives due to low back nerve pain. Determined to find a better treatment protocol for chronic low back pain, he discovered Intracept after extensive research.
“It’s certainly exciting for us and a great alternative for patients,” said Dr. Frieden, a pain management specialist at Southwest Spine & Pain. “With the clinical data we have and how minimally invasive the
Provider Highlight
procedure is, it’s a great option for many of our patients with ongoing low back pain.”
Previously, this type of pain was thought to originate within the spinal discs. Recently, it has been shown to stem from vertebral end plates and is transmitted via the basivertebral nerve. “If we ablate those nerves, we can provide greater than 75 percent pain relief for up to and beyond five years,” Dr. Frieden added.
The Intracept procedure is a minimally invasive approach clinically proven to relieve chronic low back pain. Only a handful of medical professionals nationwide are certified to perform the Intracept procedure, and Dr. Frieden leads the way in offering this innovative treatment in Southern Utah.
“Intracept is a relatively painless treatment,” Dr. Frieden explained. During the procedure, the physician makes a small incision to insert a probe into the vertebral body. The probe uses radiofrequency ablation to create a heat lesion on the nerve tissue bundle, effectively blocking
pain signals from reaching the spinal cord. These nerves do not regenerate, allowing Intracept to deliver long-term results.
Intracept Procedure Quick Facts:
• Minimally invasive
• Long-term pain relief
• Preserves overall spine structure
• Same-day procedure
• Brief recovery
• Treatment is available at several Vista Healthcare Surgical Centers in Utah.
Southwest Spine and Pain, a locally owned and experienced team of pain management specialists, provides worldclass pain care. They operate multiple health centers throughout Utah, offering acute and chronic pain management services, including injections, Intracept, epidurals, radiofrequency ablations, nerve blocks, spinal cord stimulation, regenerative medicine, physical therapy, and rehabilitation. All physicians have completed fellowship training and board certification in the treatment of acute and chronic pain.
Derek Frieden, M.D., completed his fellowship training in interventional pain management at Harvard Medical Center. He has lived and practiced in Southern and Central Utah since 2005 and previously served as the Director of Spine and Pain Medicine at Dixie Regional Medical Center. In addition to being a dedicated clinical research investigator, Dr. Frieden specializes in the evaluation and treatment of painful spinal conditions and multiple painful disorders, utilizing the latest technologies, including image-guided, minimally invasive procedures. Same day appointments are usually available. Call the clinic nearest you to make an appointment.
Southwest Spine & Pain Center: 652 South Medical Center Drive, Suite 110 | 435-656-2424 | www.southwestspineandpain.com
Other locations: • St. George–Red Hills: 301 North 200 East, Suite 2A | 435-688-7246
• St. George –Rheumatology Division: 1490 East Foremaster Drive, Suite 220 | 435-879-7610
• Hurricane: 25 North 2000 West, Suite 8 | 435-635-0174
• Cedar City: 1303 North Main Street | 435-586-2229


By Anita DeLelles, LMT
As an owner of WOOF! Wellness Center, I’d like to share some of the most common questions I hear from my clients regarding the health of their pets. Here are the answers to six of the most frequently asked questions about pet care.
1. How often should I feed my pet?
Answer: Most adult dogs and cats are fed twice a day, while puppies and kittens may need more frequent meals. The exact amount depends on the pet’s age, size, and activity level. We highly recommend that pet owners do not freefeed as it can lead to obesity.
2. Is my pet overweight?
Answer: Sadly, nearly 60 percent of dogs and cats in the U.S. are considered overweight or obese. It’s a potentially dangerous problem for pets as well as adults—one that should be taken seriously. The World Small Animal Veterinary Association website (wsava.org) is filled with valuable information about pet health. Search under nutrition guidelines for body condition charts for dogs and
cats that illustrate various shapes for comparison to your pet. You also may contact WOOF! Wellness Center, and we will be glad to take your pet’s age and level of physical activity into account and recommend a healthy diet.
3. How do I keep my pet’s teeth healthy?
Answer: Surprisingly, poor dental health can have a domino effect on behavioral issues and health problems. Regularly brush your pet’s teeth using a small, soft toothbrush or wipe. Remember that regular dental checkups are important. Typically, four out of every five dogs and most cats over the age of three years have some degree of dental disease. Feeding your pet a high-quality diet and providing natural dental chews and toys can help reduce plaque and tartar. It’s a common misconception that hard kibble can “scrape” the teeth or assist in keeping teeth clean. In reality, dogs and cats don’t chew their food; they don’t have the necessary molars to do so. They bite and swallow. At times, the kibble residue will build up on their gums, which may lead to eventual decay, infection, and bad breath.
Traditionally, dental cleaning was limited to in-hospital treatment under
and extra unexplained shake response periods of pets indoors pillows some the from recommend effective the summer slice harmful be which pet-safe keep that repeating. direct
sun can skyrocket in a matter of minutes, putting pets at risk of heatstroke and dehydration. If you’re running errands or heading to the store, it is best to leave your pets at home where they’ll be safe and comfortable.
full anesthesia. The advent of nonanesthetic dog teeth cleaning provides a new option for many cat and dog owners who did not like the added risk of putting their beloved pet “under” for a nonsurgical procedure. WOOF! Wellness Center sponsors an ongoing, safe, effective, nonanesthetic dental exam and cleaning. It’s performed by a highly skilled oral care technician under the guidance and expertise of a licensed veterinarian.
4. How often should I bathe my pet?
So there you have it. Follow these tips, and with some TLC, you will be ready to soak up the sun and make long-lasting memories with your furry companion by your side. Cheers to a paw-some summer!
Answer: Most pets only need a bath every four to six weeks, but this can vary based on their breed, coat, and lifestyle. Obviously, after a good roll in the dust, you’ll want to at least rinse them off. But keep in mind that overbathing can lead to dry skin and irritation. Regular brushing will improve the coat and likely reduce the frequency of bathing.
5. If I train my dog with treats, will they get fat?
This is a valid concern our trainers often are asked. After all, we’re all aware of the risks associated with pet obesity. Rest assured that it’s okay to train with treats using the following suggestions:
• Break up treats so that you’re only giving a little bit at a time. It
About the Author
only takes a small piece of a high-value treat for it to be a reward.
• Another trick is to use some of your dog’s daily food ration during a training session. This way, your barking buddy is not eating anything extra; it’s just being spread out over the day.
• Using fruits or vegetables can be a healthy training alternative, if your dog likes them.
6. How long will it take to train my dog?
Obviously, there is no magic number. It will depend on a wide variety of conditions, your dog’s breed, training techniques, and even your own attitude! But if you need a number, we suggest that you work with your pup for a minimum of four months to a year. Essentially, obedience training, like all learning, is a lifelong process. You should continue to reinforce good behavior long after the training class is over.
find them downright terrifying. With the coming Fourth of July and Pioneer Day (July 24) festivities ahead, it’s crucial to take extra precautions to keep furry friends safe and calm. The unexplained loud noises, bright flashes of light, and rumbling vibrations shake some dogs to the core with fear. Anxiety is an elevated response of the nervous system, which is exhausting over long periods of time. Close curtains and create a cozy hideaway in which pets can take cover during fireworks displays. A quiet room indoors or a familiar crate draped with blankets and padded with pillows for extra soundproofing provides a safe environment. Play some music, the TV, or a fan for white noise. It will help drown out the booms and bangs and calm their nerves. Many dogs benefit from calming supplements, CBD, and natural herbs. We recommend a trusted brand, Healthy Paws No More Drama, a highly effective supplement to reduce anxiety.
For more information or to schedule a wellness assessment or mini-groom, contact WOOF! Wellness Center & Training Academy at 435-275-4536 or visit online at woofcenter.com.
Anita DeLelles, LMT, is a certified equine and small animal acupressure practitioner with accreditation from the Tallgrass Animal Acupressure Institute and a member of IAAMB. Her Tallgrass training has included two consecutive summers in Bath, England, near where she lived as a child, as well as coursework in Colorado and northern California. Additionally, Anita is certified in animal massage from the Northwest School of Animal Massage as well as human massage in the state of Utah and is a graduate of UNLV. In 2013, Anita and her husband, Ron, opened WOOF! Wellness Center & Training Academy to serve pets and their health-conscious pet parents. WOOF! is dedicated to improving the quality of life for companion and competitive animals through fitness and conditioning, education, and proper nutrition. Anita shares her life with Ron and their overly-pampered cats in Santa Clara, Utah.
July afternoons are perfect for a backyard barbecue. Firing up the grill with hotdogs and burgers is a uniquely American summer tradition enjoyed with family and friends. But before you slice into the watermelon, remember that some foods can be harmful to dogs and cats. Keep the grilling meats out of reach, and be mindful of foods like onions, garlic, grapes, and chocolate, which can all be toxic to pets. Instead, treat them to some pet-safe snacks like Real Meat treats or homemade pup-sicles to keep them cool and satisfied.
Last but not least, let’s address car safety. We all know that leaving a pet in a hot car is a big no-no, but it’s worth repeating. Even on mild days, the temperature inside a parked car in direct sun heatstroke to the be safe So you memories paw-some For woofcenter.com, Academy

For more information on health and wellness for your pet, visit woofcenter.com, stop by WOOF! Wellness Center & Training Academy in Santa Clara, Utah, or call 435-275-4536. Join for completed walking can about 275-4536
Join WOOF! Wellness Center & Training Academy for trainer-guided hikes. We request that dogs have completed a basic manners class or loose leash walking class to participate in the hike. Our trainer can set up a free assessment if you are not sure about your dog’s ability to join the hikes. Call 435275-4536 or visit www.woofcenter.com.




By Lyman Hafen
In the early 1960s, there was always an evening in mid-December when Dad would load us in the car and drive us into a magical night. My siblings and I did not go gentle into that good night. Wide-eyed and full of joy, we could not contain ourselves. The fact that Christmas was just around the corner was at the heart of it. But even more, during the course of that drive, we knew we would witness a dazzling array of lights the likes of which our little heads could hardly contain.
For me, Christmas was always synonymous with light. The further you drove up Flood Street from our southern edge of town, the brighter and more thrilling the lights became. At Merv Reber’s house on Tabernacle, we witnessed what seemed to us the most spectacular flood of white lights ever staged on this planet. As we turned onto Highway 91, now known as the Boulevard, we’d drive beneath the gloriously strung lights that canopied the street and cry out with glee as we passed under the red plastic bells that lit up, synchronistically, one-two-three, above us.
From there, we drove up Diagonal Street and then onto the Red Hill and down Hope Street, where homes were covered with lights, illuminated reindeer and sleighs, and every imaginable image of the season. As we dropped off the hill and back down into the heart of town, we turned again onto Tabernacle Street and approached the house where my dad grew up and where my grandparents still lived, and we stopped in to say hi.
Afterward, we headed home, eastward down Tabernacle Street. By the time Dad pulled the old Ford back into the carport beneath our own modest but wonderful display of lights, we were so full of
light that mom must have seen us glowing through the blankets when she tucked us in our beds.
On those December night rides, Dad would tell us stories related to places along the way. But there was one story tied to the route that I did not hear for the first time until I was an adult. It was shared with me by my dear friend, Mary Phoenix, who had been my fourth grade teacher at East Elementary and my English teacher at Dixie High School. It is a story many old-timers know but one that every resident of Southern Utah should know. It is one of our community’s most sacred connections to the season.
It occurred on a cold winter’s night in a humble little adobe house at what became 294 East Tabernacle (now home of Cache Valley Bank). The year was 1869, just eight winters after the original company of Latter-day Saint settlers arrived in the St. George valley. Those who had remained were barely surviving in that desolate corner of the territory.
The town’s ecclesiastical leader, Erastus Snow, was looking for a way to lift the people out of the tedium of hunger and dreary gray days of winter. He began to plan a holiday celebration, something for the townsfolk to look forward to, something to brighten their spirits and lighten their loads. There wasn’t a lot of food, but there was plenty of musical talent in the valley, enough to stage the kind of program that might carry their spirits through to spring.
Snow called two of the town’s leading creative lights to his office: poet laureate Charles Walker and choirmaster John M. Macfarlane. The two had collaborated on a number of
compositions, Walker writing the words and Macfarlane the music. Their charge was to write something special for the upcoming Christmas celebration.
Walker went right to work and composed several verses, which he passed along to Macfarlane. As the day of the event drew seriously near, John Macfarlane found himself stumped. As wonderful as Walker’s verses were, he could not put them to music.
Then one night it came to him. In the one-room adobe house on Tabernacle Street, he awoke in the darkness with not only the tune but a set of words swirling in his head. Macfarlane was a large and handsome man. His wife, Ann Chatterly, was a fine and diminutive woman, barely five feet tall and less than one hundred pounds. John rousted her out of bed and asked her to light the lamp and start pumping the bellows on the organ. The two of them, in their robes and nightcaps, shivered against the night as music permeated the chill air of their home and began to warm their hearts. John played and wrote and hummed as Ann held the lamp in one hand and pumped the bellows with the other. Not until the first rays of morning broke through the frost-glazed window did John M. Macfarlane declare it finished.
After breakfast, he hustled down Tabernacle Street to show his work to Brother Walker. Charles Walker was the first to declare its excellence. Macfarlane signed both their names to the finished copy, but Walker modestly insisted his name be removed. He later stated there wasn’t a word in the song that was his. In fact, neither man was all that concerned about taking credit. Like much of their other work, they assumed it would be performed once, then fade away.
But this song would never fade away. “Far, Far Away on Judea’s Plains” was performed to the delight of everyone at St. George’s Christmas program that year and repeated by popular demand the next year and the year after that. As Christmases came and went, the carol spread throughout the Territory, and in 1889, twenty years after it was composed in those cold night hours on Tabernacle Street, it was published in the Church of Jesus Christ of Latter-day Saints’ Juvenile Instructor magazine. By 1896, it had officially made its way into the LDS Hymn Book.
Now the song belongs to Christian people everywhere who sing its simple, profound words and heartwarming tune from the depths of their souls every Christmas. Year after year, they sing it because it expresses so perfectly their feelings for the most holy of all days.
On our family Christmas light tour each year, we always drove down Tabernacle Street and passed the very place where John and Ann Macfarlane huddled around the old bellows organ in the golden lamplight that night—the very place where a hundred years earlier, they first brought forth the strains of what would become a classic Christmas carol. It would have been a night just like those midDecember nights we rode through. And, as amazing as all those lit-up homes were, I cannot imagine their brightness coming close to eclipsing the glorious golden glow that shone in the window of that humble little adobe house at 294 East and Tabernacle.
About the Author


John M. Macfarlane
Lyman is the author of a dozen books intent on connecting landscape and story in the American Southwest. He was founding director of the Zion Forever Project and was president of the national Public Lands Alliance. He’s been writing and publishing for more than 40 years, with several hundred magazine articles in publications ranging from Western Horseman to Northern Lights, and was the founding editor of St. George Magazine in 1983. He’s been recognized on several occasions with literary awards from the Utah Arts Council, and won the Wrangler Award from the National Cowboy and Western Heritage Museum. He lives in Santa Clara, Utah, with his wife Debbie, and together they have 6 children and 18 grandchildren.


Until recently, even after decades of exploring Utah, I was quite unaware of a unique formation found south of the historic mining town of Eureka and west of the city of Nephi.
In North America, the imaginary woodcutting character Paul Bunyan is renowned for
performing great deeds. Some accounts describe this giant of a man traveling across the land with his large pet blue ox named Babe, dragging his axe, and creating several of North America’s natural wonders. Given this, it isn’t a surprise that a natural formation in Utah was given the moniker Paul Bunyan’s Woodpile.
This collection of rock formations was formed of molten lava that, upon cooling, congealed into horizontal columns with multiple sides. Each stacked stone is an average of ten to twelve inches in diameter and ranges from about six feet to fifteen feet in length. These stone columns naturally sit on top of each other in groupings that resemble stacks of axechopped wood.
These structures are located in Central Utah just off of Highway 6, where you’ll find a dirt road that leads east into some lowlying foothills. There currently is no sign that indicates this turn to the trailhead, but the route shows up easily on a Google map. From the highway, you’ll travel three miles on a well-graded dirt road to the trailhead. Be aware of weather conditions; depending on your vehicle type, you may not want to travel on this road during bad weather. The hiking trail follows a northwesterly course for about a half mile before ascending, via switchbacks, up a hillside that rises about 200 feet. The

By Mark Wade

overall hike each way is about one mile, with a round-trip total of approximately two miles. Once you have reached the top of the trail, you will be able to wander in and around the rock formations. Be aware that there are a lot of fallen rocks around the

various formations, and hikers should use great care in walking in these areas.
There are several freestanding stacks of rocks that form long rows. On the far east side of these formations, there is a large wall that is several hundred feet across and perhaps 100 to 150 feet tall. It is not readily visible to hikers unless they descend into the small ravine on the east side of the wall. A portal that could be designated as either a window or an arch has eroded out of this large wall, and entry to this is easily accessible by very carefully stepping down a gap between this wall and the next adjacent pile of heaped up lava rocks.
While in this area you might enjoy visiting the historic mining town of Eureka, Little Sahara National Recreation Area, and other attractions in the Great Basin Desert.
Learn more at UtahGuide.com.






By Matt Eschler, PhD, LMFT
In my counseling office, I am experiencing couples who throw the term gaslighting at each other with a frequency never before experienced. The term gaslighting has deep psychological meaning when used properly, but when used as a defense to a disagreement, it becomes a form of verbal stonewalling. When the gaslight defense is used improperly, it stops the exploration of ideas. It blocks the sharing of an opinion that conflicts with another person’s point of view. When a disagreement can only be gaslighting, it literally stops the romantic feelings that are a direct result of growing together as a couple as differing viewpoints are heard, understood, and resolved within a relationship.
In our current society, we are being trained to ignore disagreements. On social media platforms, the accusation “You’re gaslighting me!” is being applied to any disagreement or misunderstanding. It’s like a race to see who can claim the “gaslight defense” as proof that their argument is the most correct. This improper use of the term gaslighting dilutes its actual meaning, making it difficult to distinguish actual gaslighting from everyday conflict that needs to be negotiated.
Gaslighting is:
• Denial of facts. The gaslighter persistently denies or contradicts what another person knows to be true, creating confusion and self-doubt. However, keep in mind that facts are objective realities and opinions are our beliefs about the realities.
• Distorting reality. The gaslighter intentionally twists events or situations to make the victim feel like they are misremembering or overreacting.
• Minimizing or dismissing feelings. The gaslighter tells the victim that their feelings or reactions are wrong, irrational, or unimportant.
• Lying or misleading. The gaslighter deliberately provides false information or creates doubt, such as saying “I never said that” when they did.
• Shifting blame. The gaslighter makes the victim feel responsible for issues they didn’t cause by assigning intention to their words or actions.
• Using confusion intentionally. The gaslighter constantly changes details of a story or reality to confuse the other person.
The improper use of the term gaslighting dilutes its actual meaning, making it difficult to distinguish actual gaslighting from everyday conflict that needs to be negotiated. “ “

About the Author
Gaslighting is not:
• Disagreement. Simply disagreeing with someone’s viewpoint or perception of an event is not gaslighting unless it involves persistent denial of clear facts and patterns of undermining the victim’s perception of reality.
• Misunderstanding. People sometimes genuinely misunderstand or misremember things without malicious intent. This is not gaslighting; this is simply a misunderstanding or a miscommunication.
• Forgetfulness. Genuinely forgetting something or having a different memory of an event without the intent to deceive is not gaslighting.
• Criticism or feedback. Offering criticism or feedback, even when harsh, is not gaslighting. To be gaslighting, it must be a deliberate effort to distort facts and not a criticism aimed at furthering understanding.

Couples can find romance by figuring out solutions to their disagreements on the facts, and they can clear up assumptions they have with honest conversation. For growth in a relationship, it is important to understand what is and what isn’t gaslighting. Gaslighting is not an honest conversation. Couples have to connect around disagreement while getting to know each other on a deeper level. Gaslighting is a form of psychological manipulation, where one person in a relationship tries to make the other person doubt their own perceptions, memories, or sense of reality. It is an intentional pattern of behavior meant to control or destabilize a person by undermining their confidence in what they know to be true. It’s not an occasional disagreement or moment of forgetfulness but an intentional, manipulative tactic.
Matt lives in St. George, Utah, where he and his wife, Chris, are enjoying their life with each other. Since their children have grown up and moved out to pursue their dreams, Matt and Chris travel the world. They want to visit 200 countries before they are done. Matt and Chris are active in their community and enjoy working out, training for marathons, and spending time participating in numerous activities with their adult children. Matt received a PhD in psychology. He is focused on the arena of resolving personal conflicts and improving interpersonal relationships. In addition to his doctorate degree, Matt has earned a master’s degree in marriage and family therapy, studied criminal justice and received a category one license with Peace Officer Standards and Training, and received a degree in the Arts of Business Management. Matt is a professor at Dixie State University and hopes to be part of the positive growth of southern Utah.


About the Author
Mandy Farnum is a fulltime student at Utah Tech University working toward a bachelor’s degree in marketing with a minor in communications. In addition to her academic pursuits, she serves as the captain of the Utah Tech University Women’s Swim Team. During her time in St. George, Mandy has been enjoying all things outdoors that the area has to offer.
It is hard for children to grasp the idea of going to an unfamiliar place and having someone poke and prod at their teeth. Having dental work done can be frightening for people of all ages, but with the help of Utah Tech University and its community partners, local children and adults can access comfortable care through a new dental office on wheels!
The University’s new dental hygiene van was unveiled on August 29, 2024, and set up at Root for Kids, a non-profit organization providing support for local children and families. The van contains portable equipment for teeth cleanings, radiographs, and fluoride treatments, which can be provided in the comfort of a patient’s home, school, or office. As a result, children and adults at Root for Kids are receiving dental hygiene care without the stress of finding a ride to the dentist or the trepidation of being in a dental office.
“We are setting up a generation for success by showing our kids that it is normal and pain-free to seek dental care,” said Tena Heward, Root for Kids health services officer. “We had a patient who had her child lying on her chest while she was getting dental help. It melts my heart that we are actively teaching people the importance of dental care.”
Utah Tech’s dental hygiene students also benefit from the new van, adding to their active learning experience by providing care to populations throughout the community who are in need.
“Students participate in authentic and applied learning while providing dental hygiene care to patients who experience barriers to care,” said Brenda Armstrong, Associate Professor of Dental Hygiene. “Those barriers can be low health literacy, financial, transportation, time constraints, geographic, and even fear of the traditional dental office setting.”
By Mandy Farnum

Utah Tech’s dental hygiene program not only empowers students with hands-on experience, but it also plays a crucial role in community health. Offering care in nontraditional settings, students are helping bridge healthcare access gaps while demonstrating a commitment to both education and public service.
“Root for Kids has been involved with Utah Tech’s dental hygiene program since 2002,” Heward said. “We would bring our families to the dental hygiene clinic and have the kids get dental services done by the students. It is a rich relationship we have had for so many years.”
Utah Tech University’s dental hygiene program wouldn’t be possible without key donors, such as Red Door Dental, Oral & Facial Surgery Institute, Stephen Wade Mercedes Benz, and Van America.
For more information about Utah Tech’s dental hygiene clinic or to schedule an appointment, go to health.utahtech.edu/dental-hygiene/clinic/.




By Dr. Grace Wathen
Have you ever walked into a room and immediately felt a sense of calm and clarity? Or perhaps you’ve entered a space that felt chaotic, making you restless and uneasy? This is not just a coincidence; it’s the energy the space holds, and Feng Shui can help shift this energy into a more positive and powerful one.
Feng Shui is an ancient Chinese practice that focuses on creating harmony in our living and working environments. Translated as “wind” (Feng) and “water” (Shui), the philosophy centers on the flow of “qi” (energy) through spaces, ensuring it moves freely to bring balance, prosperity, and well-being. When done right, Feng Shui can influence our health, relationships, and even business success.
This practice is not just about furniture placement or color choice; it’s about aligning the space with the natural elements and forces at play. Much like how we strive to balance the body’s energy with acupuncture or herbal therapies, Feng Shui focuses on balancing a space’s energy to support well-being.
We live in fast-paced environments where technology, stress, and
constant motion dominate our lives. Our homes and workspaces should be sanctuaries where we can recharge, yet too often, they become extensions of the chaos we experience externally. Feng Shui offers a blueprint for creating environments that not only support us physically but also nourish us emotionally and spiritually.
In my experience working with patients and clients, I’ve noticed how the state of their environments directly impacts their health and mindset. A cluttered room can reflect and even amplify internal tension, while a well-organized, serene space encourages a calm, focused mind.
In business, your space plays a vital role in your client’s healing journey. Feng Shui can help you create an environment that fosters trust, relaxation, and positive energy flow, enhancing the overall experience for both you and your clients.
If you’re new to Feng Shui, don’t worry! You don’t need to overhaul your entire home or office. Small, intentional changes can create a powerful shift in the energy around you. Let’s explore a few key principles that you can begin to integrate today:

1. Declutter and Clear the Space. Clutter is one of the most common culprits for blocked energy, both physically and mentally. In Feng Shui, clutter is viewed as a significant barrier to the smooth flow of qi throughout a space. Just as stagnant water in nature breeds discomfort and decay, stagnant energy in our homes or offices can leave us feeling stuck, anxious, and overwhelmed. Clutter can also reflect different emotional blockages in life. Holding onto items that no longer serve us often indicates an attachment to the past, fear of the future, or indecision. By letting go of things we no longer need, we’re symbolically releasing these emotional attachments, making room for new, positive energy to flow in. As the saying goes, “When you clear the old, you make space for the new.” I use a simple four-step process to declutter: start small, mindfully assess, organize by category, and create a routine. You’ve got this!
2. Balance the Five Elements. Feng Shui is deeply connected to nature’s five elements: wood, fire, earth, metal, and water. Each element represents different qualities: wood encourages growth; fire brings passion; earth provides stability; metal offers clarity; and water inspires abundance. Do you need
more growth in your life? Add more plants, wood furniture, and green into your decor. Are you lacking passion? Candles, lamps, and red, orange, or purple accents may do the trick. How about stability? Add some earthy colors, stone accents, and sculpture into the mix. Are you craving clarity? Whites, grays, golds, and silvers will clear your mind. Is it time to call in abundance? Get that water feature you’ve been eyeing, and incorporate some curved shapes.
3. Be Mindful of Placement. The way we position furniture and objects can influence how energy flows. For example, in a workspace, ensure your desk is placed so you have a clear view of the room’s entrance. This placement allows you to feel empowered and in control. Additionally, if one side of the room is dominated by heavy furniture (like a large bookcase or a couch), try to balance it by adding substantial pieces or larger décor items to the opposite side. This balance creates harmony and prevents energy from feeling too heavy or sluggish in one area. And in the bedroom, for example, balance the energy by placing two nightstands on either side of the bed. This promotes balance in relationships, whether with a partner or in your own internal harmony.
4. Enhance Natural Light and Airflow. Good Feng Shui requires natural light and fresh air, as these elements bring vital energy into a space. Open windows regularly and introduce mirrors strategically to reflect light and increase brightness in darker areas. Create layers of light for dynamic energy, such as task (reading lamps, under cabinet lights), ambient (pendant light, chandeliers), and accent (spotlights on artwork).
5. Pay Attention to the Front Door. The front door is often referred to as the “mouth of qi” in Feng Shui, as it is where energy enters your home. Make sure this area is clean, well-lit, and welcoming, symbolizing a space that invites abundance into your life. You can even paint your door for specific energetic outcomes: a red door for wealth, prosperity, and protection; a green door for growth, renewal, and vitality; a black door for wisdom, depth, and opportunity; a blue door for peace, trust, and clarity.
Feng Shui teaches us that everything in our environment carries energy, and when that energy is balanced, we thrive. Whether you’re looking to improve your health, build stronger relationships, or enhance your business, Feng Shui offers a beautiful, balanced pathway to health and abundance.
To book an appointment or consultation with Dr. Grace, visit her website at www.wildflowerremedy.com, call 408-892-6440, or email drgracewathen@gmail.com.
Dr. Grace Wathen holds a doctoral degree in acupuncture and Chinese medicine and a Master’s degree in Traditional Chinese medicine. She is also a licensed real estate advisor. Dr. Grace is a Utah native and proud mother of two King Charles Cavalier spaniels, two mustangs, and one kitty cat.

By Gini Grimsley, Director of Fitness Product, VASA Fitness
The holidays are a time of fun, friends, family, and food. Though many of us start with good intentions, we often struggle to avoid overindulging. Create a plan so you can successfully navigate those final forty-five days of the year! Here are seven tips to help you avoid temptation so you can thrive during the holiday season.
1. Choose wisely. The list of favorite holiday recipes can be longer than a drugstore receipt. Certain dishes are only served around the holidays, which usually leads to overindulging. Take some time to pick your top three to five dishes being served at the event or party and stick to those. Then focus on savoring each bite! The more you enjoy each spoonful, the less your body will want to eat.
2. Make room for veggies. Many holiday dishes—though delicious—are heavy in sugar and fat. When building your plate, start with vegetables first, then add protein, and finish off with one or two of your favorite sweet bites.


3. Take ten. It takes the body about ten minutes to feel satisfied, full, or overly stuffed. Before heading back to the spread for seconds, find someone to chat with for a few minutes while your body digests. When your conversation is over, you’ll be able to better determine if you’re still hungry or if you’ve had enough.
4. Drink to your health. Alternate between water and alcoholic drinks over the course of the event. Cocktails and festive drinks can have a ton of hidden sugar that might send you over the caloric edge, making you feel worse the next day. Water and sparkling water can help keep you hydrated and avoid a hangover.
5. Eat regular meals. Stick with your normal eating schedule and food selection. The holidays consist of just a handful of bigger meals spread out over 45 days. If your normal eating and current activity levels can be maintained, you’ll be better off going into the new year, and you won’t need a big jumpstart to eat well and exercise more. Skipping meals in preparation for holiday events can often lead to overeating.
6. Visit people, not food. One of the best parts of the holidays is the opportunity to catch up with friends and family you may only see during this time. Take the focus away from the food and spend more time catching up with loved ones. Relationships last longer than pie.
7. Stay active. It’s easy to skip workouts and be more sedentary during this time of year. Plan walks or outdoor activities with friends and family so you can still get your exercise in and spend time with those who are most important to you! Making it to the gym when there are social gatherings or days when the gyms are closed in observance can make your normal workout routine challenging. Keep in mind you can still move your body in other places than the gym. Bodyweight workouts and walking are great ways to stay active and can help with digestion and sleep.
The holidays don’t have to derail the progress you’ve made. Approach the last forty-five days of feasts, parties, family, and stress with a plan so you avoid the holiday hangover.
About the Author
Gini Grimsley is the Director of Fitness Product for VASA Fitness where she creates cutting-edge fitness programming for VASA’s clubs across eight states.


By Branden DuCharme, AWMA®
It’s easy to get wrapped up in the hottest new stock pick, and it’s similarly just as easy to not think about financial matters at all. Today, I am going to give you one “money thing” to consider with your financial advisor and two “not money things” you might have overlooked that could drastically impact you financially.
First, the Fed has started to cut interest rates. Short-term investors and cash-heavy investors have been rewarded over the last several years with high “cash” yields. It has been easy to pick up 5 percent or more in what is now referred to as the “T-bill and chill.” While this approach has worked well, it’s likely changing. As the yield curve changes, make sure you visit with your financial advisor about opportunities to capture these higher yields for a longer amount of time. This will introduce duration-risk to your portfolio, but I have found that if it is properly paired with your financial plan, it can be a valid opportunity to lock in a meaningful yield for a longer amount of time.
My second tip concerns password management. Password managers are services that keep and store complex passwords, allowing you to have more sophisticated (secure) passwords across various websites. It is bad digital hygiene to utilize either simplistic passwords or the same password across multiple

websites. Password managers help by simplifying your digital life into only needing to remember one password: the password to the service. Keeping yourself secure digitally can go a long way toward living a lower-stress and financially healthy life.
Lastly, identity theft is on the rise, and companies are more frequently being hacked. If you are not a heavy credit user (most of us aren’t) and if you aren’t taking out new loans regularly (most of us don’t), consider freezing your credit to protect yourself. This can keep other parties from obtaining credit or starting new loans in your name. This will come with the downside of minor inconvenience to you. Aside from about thirty minutes of potential frustration, there is little downside to freezing credit. If you want to use credit, you will need to unfreeze it, a relatively quick process. Again, this is for folks not utilizing new credit regularly.
I am aware that dealing with safeguards, guardrails, or moneyrelated issues is sometimes amongst life’s least emotionally enjoyable things. However, I am an advocate of addressing what can be done ahead of time with minor inconvenience if it allows more peace of mind and mitigates potentially significant and impactful negative events.
Disclosure: Information presented is for your educational purposes only and should not be regarded as a complete analysis of the subjects discussed. Discussions and answers to questions do not involve the rendering of personalized investment advice, but are limited to the dissemination of general information. A professional advisor should be consulted before implementing any of the options presented. Forward-looking statements,” such as “may,” “will,” “should,” “expect,” “intend,” “continue,” or “believe,” or the negatives thereof should not be relied upon as a guarantee, assurance or a representation as to the future. Such statements are a belief based on trends, however due to various risks and uncertainties, actual events, results or actual performance may differ. Encompass More Asset Management LLC is a registered investment adviser with the U.S. Securities and Exchange Commission (SEC) and only transacts business in states where it is properly registered, or is excluded or exempted from registration requirements.













Pizza/Pasta Factory
Pasta Factory: 2 W. St. George Blvd. #8, St. George, UT 84770 | 435-674-3753
Pizza Factory: 2 W. St. George Blvd. #8, St. George, UT 84770 | 435-628-1234
Pizza Factory Express: 1930 W. Sunset Blvd., St. George, UT 84770 | 435-634-1234
Pizza Factory Pineview: 2376 E. Red Cliffs Dr., St. George, UT 84790 | 435-688-2656
Pizza | Pasta | Dine-In | Take-Out | Salad Bar | $$
Delivery available at Pine View location only
Mon.—Sat at 11:00 a.m.
The Pasta Factory, with its year-round, climate controlled outdoor patio dining wows with custom-made pasta, soups, sandwiches and salads. The Pizza Factory offers three locations with the best and freshest salad bar in town; homemade soups, sandwiches, famous bread twists and Southern Utah’s favorite pizza combinations.



Angelica’s Mexican Grill








101 E. St. George Blvd., St. George, UT 84770 | 435-628-4399
Mexican | Vegetarian and Vegan Options | Family Friendly | $ Mon.–Sat., 11:00 a.m.–9:00 p.m.; Closed Sun.
Located Downtown on St. George Boulevard, Angelica’s Mexican Grill serves fresh, made from scratch authentic Mexican food. The flavor driven and nationally recognized menu provides everything and more that you would expect from a Mexican restaurant, including street tacos, Mulitas, Tortas, Sweet Carnitas, Machaca, and their famous salsa bar. Vegan and Vegetarian dishes are always available. Seating is available inside and also outside on the spacious patio. Catering & To-Go ordering available.

By Dave Hiatt, STAR 98FM

About the Author
Dave Hiatt boasts an extensive twenty-five-year tenure in Southern Utah radio. He is currently affiliated with Townsquare Media, brightening weekday mornings on Star 98FM.

I love Mexican food. There are many restaurants that serve up the standard burritos and enchiladas, rice, and beans in the same way that most of us have come to expect. Like me, you may have asked yourself, “Is the food in Mexico this uniform, or is it just the version we have come to accept in the United States?”
The answer to this question is found at Angelica’s Mexican Grill. This is a restaurant that serves authentic Mexican street food that takes you to the busy streets of Mexico City and makes you wish you were a native of that country. Yes, there are burritos, quesadillas, and mulitas, but it is not the standard fare. Amazing food like this can only be found at Angelica’s.
Angelica was schooled in the delicious food she makes from her mother and grandmother, who were masters of making the food from their region of Mexico, and they passed this talent to her.
Every day, Angelica’s prepares the meat and other ingredients that give it unparalleled freshness. The carne asada, machaca, carnitas, and grilled chicken are delicious. But for me, it is all about the sweet pork. This recipe was handed down from Angelica’s grandmother, and it is special.
I love the sweet pork quesadilla where the edges of the meat are a little crispy. It is hard to beat. Load up some fresh salsa from the salsa bar, and you have something that will sink deep into your taste buds and keep you coming back again and again.
Speaking of the salsa bar, you can judge a lot about a Mexican restaurant by the salsa they offer. In my opinion, there are no better salsas than the fresh varieties available at Angelica’s. Their five fresh salsas come in every level of heat—from mild to very hot—to match your spicy


desires and enhance the whole experience. You can also order sour cream and fresh sliced avocado according to your taste, delivering up Mexican food that exceeds your expectations.
You may wonder who this Angelica is. She is the brilliance behind the restaurant that carries her name. Angelica Lancaster came from Mexico City to the United States over eighteen years ago. She was schooled in the delicious food she makes from her mother and grandmother, who were masters of making the food from their region of Mexico, and they passed this talent to Angelica.
There is much to try at Angelica’s Mexican Grill. Quesabirria comes with an amazing dipping sauce. When corn is in season, the elote will explode in your mouth with authentic Mexican flavors. And if you are hungry enough, the torta (steak sandwich) will give you all you can eat for lunch and dinner.
Don’t take my word for it. Head over to Angelica’s Mexican Grill on St. George Boulevard, and explore Mexico City street food for yourself. As Angelica says, “It will bring out the inner Mexican in you.”

By Erin Del Toro, RCH
Being ready with your New Year’s resolutions in November or December might seem premature, but when it comes to maximizing the natural, habit-programming powerhouse of your subconscious mind, starting well before the new year makes changing bad habits and forming healthy new habits easier. When you begin new habits, the function of the conscious mind is to plan and make decisions. What is often not considered is that the subconscious mind needs to change first.
Imagine a car that has its wheels wildly misaligned, tires angled in every direction. In order to get that vehicle straightened out, would replacing the tires set things right? No. A new set would be just as wonky and dysfunctional as the first set. In order to make the car driveable, the issue causing the problem would have to be determined, and the axles and suspension would need to be adjusted.
Trying to approach change with only your conscious mind is much the same since the subconscious is responsible for managing up
to 95 percent of your actions and nearly 100 percent of your habits. The subconscious runs your life with programs. These programs dictate nearly everything you do, from the way you put on your socks in the morning to the food you crave to the feelings you have when someone compliments you to the types of people and relationships you are attracted to.
To make a resolution stick, you begin by setting defined, actionable goals. Your conscious mind is responsible for this— thinking logically to make decisions. Being vague will only slow your subconscious down. Instead of “I want to be healthier,” try “I will work out for thirty minutes, four times a week.” Think of it as giving your brain a detailed map. It knows exactly where you want to go, which reduces confusion for your subconscious.
With a clear goal set, it’s time to program the subconscious to support it. Because your deeper mind is directly linked to emotions, the stronger you feel about a goal, the more likely your subconscious is to implement it. Visualization is a powerful tool for this. While meditating, picture yourself succeeding in your resolution, whether it’s giving a confident speech, running a marathon, or sticking to a budget. Imagine every wonderful outcome that you might have after working on the goal for one month, for three months, for six months, for twelve months, and well into the future. Really allow yourself to connect with these feelings; the more you connect with the emotions and feelings, the stronger your neural pathways will become for lasting change.
For instance, if you want to save money, imagine feeling the satisfaction each time you reach a savings milestone. This positive reinforcement makes your subconscious eager to continue the habit.


When you imagine positive outcomes and connect strong emotions with them, you’re teaching your subconscious that success is not only possible, it is also the desired program you would like to have.
You can also use conscious stratagem to ease your subconscious mind into your resolutions. For example, if your goal is to wake up earlier, start by adjusting your wake-up time by five or ten minutes each week. By the time the new year begins, the change will feel natural, and the subconscious will be more open to accepting this new program. Additionally, instead of setting outcome-based goals like “I want to lose twenty pounds,” focus on identity-based goals, which are more powerful and lasting. Instead of only aiming to lose weight, decide to become someone who values fitness and healthy choices.
If you can’t connect well with a feeling of interest or enthusiasm about your change, you may have a subconscious block or limiting belief that has a contradicting program, much like the misaligned vehicle. If this block is not addressed, making
headway on your goal will be more challenging than it needs to be.
To prevent this, I recommend spending time with yourself and your thoughts in deep and/or altered states of consciousness. You can do this with meditation, breathwork, ketamine, or hypnosis (which, after all, is just deep meditation made easy). Helping your subconscious to learn that it no longer needs the emotional support of habits from the past, that the upcoming change will make you happier and stronger, and that you are strong enough to make the change are ways that I love to help people become their best selves.
Reaching your new goals will be easier if you fix your subconscious axles before you put the tires on. By setting clear goals, aligning emotions, and gradually adjusting habits, you prime both parts of your mind for success.
If you would like more information about how to change your subconscious mind for your good, visit balancedmodernhypnotherapy.com or text or call Erin for an appointment at 435-429-2560.

About the Author
Erin Del Toro is an ACHE Registered Clinical Hypnotherapist and owner of Balanced Modern Hypnotherapy. She’s passionate about changing the effects of trauma, rewriting unwanted habits and behaviors, and helping others unlock the power of their true potential. Erin lives in St. George with her twin daughters and enjoys participating in the ninja warrior sport and playing in the beautiful outdoors of southern Utah.

“The most precious gift we can offer others is our presence. When mindfulness embraces those we love, they will bloom like flowers.” — Thich Nhat Hanh
By Brigit Atkin

About the Author
About the Author Brigit Atkin–Brigit of Brightworks helps improve the lives of others facing challenges and difficulties. She is certified in the SimplyALIGN™ method and was trained by founder Carolyn Cooper herself. For more information, visit www. brightworksbybrigit.com.
Brigit Atkin–Brigit of Brightworks helps improve the lives of others facing challenges and difficulties. She is certified in the SimplyALIGN™ method and was trained by founder Carolyn Cooper herself. For more information, visit www. brightworksbybrigit.com.
and a whole lot more meaningful by fully connecting with those you love. Gift them with your presence. You don’t need to spend a lot of money to make the holidays memorable. You don’t have to go on vacation to make Christmas fun.
Instead of this unhealthy attachment, see if you can attach your happiness to a Higher Power, to God. See what changes.
Several years ago, I decided to break with tradition by taking our children on a cruise during the holidays rather than celebrating our traditional Christmas with extended family. Our kids were all for it, and I reserved the booking online. However, as Christmas approached and our children realized there would be no gatherings with family, they emphatically changed their minds. They decided the holidays wouldn’t be right without eating Christmas Eve dinner at our house, visiting with grandparents on Christmas Day, and attending the Atkin Christmas party between Christmas and New Years Day. Luckily, I was able to cancel the cruise without a problem, and our festivities went on without a blip.
What would make teenagers turn down a Caribbean vacation on a ship that would have its own lively Christmas celebration? Pondering this question made me realize that it was the importance of family connections, especially during this time of year.
Once you’ve retrieved your personal remote by accepting reality, now you must use it to navigate to your own happy channel. This sounds easy, but as we all know, it is not. Here is something that helps me and that I also use in my practice. As I begin working with a client, I accept the reality that I am not the one responsible for their healing; they are. I do my very best for that client, and when we are finished with the session, I tell them, “Now is the fun part; it is time to see how it all unfolds.” I then let go of the outcome. I check in with the client several days later, but I don’t carry around the worry of the outcome. I’m grateful for the experience of working with them, and I trust that all will work out. And it always does.
While thinking about the traditions that connect us as humans, the following things came to mind: food, presents, music, dancing, storytelling, playing games, and visiting. One of the magical things that happens when we gather together at cultural or religious holiday celebrations is that we put our phones aside and engage with each other. We make food and treats together, and sometimes we pray together. By exchanging gifts, we think about someone other than ourselves, focusing on what would be loved or needed by the one receiving our offering. We forget about the cares of the world as we interact with those we love.
A very wise man, Gordon B. Hinckley, once said, “Anyone who imagines that bliss is normal is going to waste a lot of time running around shouting that he’s been robbed. The fact is that most putts don’t drop, most beef is tough, most children grow up to just be people, most successful marriages require a high degree of mutual toleration, and most jobs are more often dull than otherwise. Life is like an old time rail journey…delays, sidetracks, smoke, dust, cinders, and jolts interspersed only occasionally by beautiful vistas and thrilling bursts of speed. The trick is to thank the Lord for letting you have the ride.”
When you connect with your family this holiday season, remember that it is not your presents but your presence that matters. To be present is to be aware. It’s to live in the moment and to savor the precious sights, sounds, and feelings that accompany the interactions with those you love. When you give your presence, you give the gift of you. You give someone your full attention, notice their expressions, or sincerely compliment them about something you appreciate about them. You listen to them and love them just as they are.
Maybe one of these years we will take that Christmas cruise, but for now, I’m content with our family traditions and the connections we are making.
This is a magical time of year—a time of lights, music, laughter, family, and friends. See if you can make it a little less stressful
Take back the remote control to your happiness. Safeguard it because your happiness depends on it. Be grateful in any circumstance, for this is a very important button in the drama of life. You have the power to choose what you tune into, what you turn down, what you change, and what you record for future viewing. You can choose to be happy. To paraphrase what I tell my clients, now is the fun part. See how it all unfolds: do the best you can, let go of the outcome, let a Higher Power be your guide, and trust that all will work out. It always does.


By Scott Allen, MD


About the Author
Dr. Scott Allen is a St. George-raised, boardcertified anesthesiologist. He has specialty training in transplant anesthesiology and currently practices with Mountain West Anesthesiology at St. George Regional Hospital. He is also the medical director of Satori Health, an integrated ketamine clinic (www. theketamineclinic. com). Dr. Allen is the past president of the Washington County Medical Association. With his deep roots in Utah, he has a special passion for improving the mental healthcare of his friends and neighbors in the community. Dr, Allen enjoys outdoor pursuits with his family and communing with nature. He’s doing his best to stay grounded in the moment!
In 1970, Norman Borlaug won the Nobel Prize for being the “Father of the Green Revolution.” In the 20th century, over seventy million people died of famine worldwide, with the majority of those deaths occurring prior to 1960. World wars and political instability contributed to those deaths, but outdated farming methods were the primary drivers of famine. Starting in Mexico in 1940, the Green Revolution was a multinational effort to implement newly hybridized seeds (mostly for grain), pesticides, and synthetic nitrogen fertilizers. Today, worldwide famine has been largely eliminated, but we now face the problems of calorie overabundance, obesity, diabetes, and heart disease, which are now the major causes of death and physical suffering worldwide.
Interestingly, as is often the case in human events, major advancements in technology created unintended consequences.
As the Green Revolution was taking off, scientists began studying the biologic mechanisms of diabetes. All diabetes, whether type 1 or 2, involve dysfunction of insulin metabolism. Type 1 diabetes is caused by the destruction of insulin-producing cells in the pancreas, resulting in a lack of insulin. In Type 2 diabetes, insulin production is intact, but the body does not process insulin sufficiently. This process is made worse by obesity, which exacerbates insulin sensitivity and leads to an overall inflammatory state.
For decades, we’ve been able to treat diabetes through a variety of medications and lifestyle changes, but obesity has remained tricky to manage. Diet and exercise often aren’t enough to help us
achieve a manageable weight, as our brains get used to a certain set-point of body weight. Fat shaming definitely doesn’t work as a weight-loss tool. Arguably, the greatest developments in managing obesity are a class of drugs called glucagon-like peptide-1 agonists (GLP-1A). One of the highest awards in medicine was given to Svetiana Mojsov, the scientist who discovered glucagon-like peptides. In the early 1980s, she sequenced GLP-1, which stimulates the pancreas to release more insulin. Then her team injected GLP-1 into rat brains. What they found has led to the greatest advancement in weight management since, well, famine. The rats injected with GLP-1 lost their appetite and lost weight while also improving their insulin regulation.
Naturally made GLP-1 couldn’t be used as a medicine as it was metabolized rapidly and required a twentyfour-hour infusion. Scientists added a fatty-acid chain to GLP-1 to make it last longer in the body. This led to the FDA approval of liraglutide in 2010, then subsequently, semaglutide and tirzepatide. Patients can lose 15 to 20 percent of their weight with GLP-1 agonists—and keep it off—while also treating diabetes.
This is an astounding feat of human accomplishment. No other class of drugs has so many wide-ranging applications. We’re finding that GLP-1 may have long term benefits for obesity, insulin production, heart disease, liver failure, and substance abuse, among others.
The Green Revolution led to the Fast Food Nation, which has now ushered in the Era of “Weight-beGone with Glucagon.”
By Chris Eschler, Health and Well-Being Life Coach
As I reflect on the Christmas celebrations of my childhood, I remember how magical the holiday felt. In the days leading up to Christmas, our family would gather for an evening of making gingerbread houses adorned with gumdrops and peppermint candies. We would recount the story of Christ’s birth, including the shepherds and wisemen who followed a new star to find the Christ child. The scent of pine permeated our home from the tree we decorated together.

“Family traditions, whether for the holidays or other special occasions, knit families together, foster shared values, create cherished memories, and have a profound impact.”
On Christmas Eve, we set out cookies for Santa before heading to bed. Because I grew up in a large family, Christmas morning was an incredible sight to see. I woke up to find presents galore filling the entire family room and Christmas tree lights twinkling and dancing in the dimly lit room. Santa would leave a stocking for each of us with an orange at the bottom and a giant peppermint candy cane sticking out from the top.
After cleaning up the crumpled wrapping paper and putting away presents, we would head to our grandparents’ home to enjoy time with extended family, only to return home later that evening to find Santa had made a second round, leaving more gifts under the tree. Each year, Santa’s second visit included a sketch pad and colored markers so that we could draw while our parents prepared banana splits for the family. Fuelled by these magical traditions, the anticipation for Christmas day kept us bubbling over with excitement.
Although I was unaware of the sacrifices made to create this magic, it was these family traditions that made Christmas special and created lasting family memories. Family traditions, whether for the holidays or other special occasions, knit families together, foster shared values, create cherished memories, and have a profound impact.
Creating family traditions or rituals can be both enjoyable and challenging. Here are some thoughts to consider when developing yours:
• Define your family values. Your traditions should reflect your family’s qualities, attitudes, and beliefs. Consider what makes your family unique and what your family enjoys doing. Traditions that align with your family’s interests and core vaues will be more meaningful and enjoyable for everyone. For example, if your family values health and fitness, going on a family hike could be a good tradition to add to your holidays.


• Integrate spirituality. Traditions that include spiritual and religious practices, such as prayer, church, synagogue, or meanful teachings, are powerful tools that foster a collective intention and shared family purpose.
• Be inclusive. Traditions in which the entire family participates can strengthen relationships and family bonds. Choose activities that ensure no one feels left out, regardless of age, ability, or limitations.
• Incorporate activities that carry meaning. Consider any cultural, community, family, or personal significance a tradition may have. Using traditions passed down from your family of origin that make sense for your own individual family adds a continuum to your heritage and an extra layer of meaning. Community events are often easy to add to your family fun. When making drastic changes from the societal norm, discuss the “whys and hows” with your family.
• Be willing to change. Be flexible and open to adapting traditions as your family grows and develops. What works well when children are young might need to evolve as they get older and as they build their own families. Note that it is important for new families to start their own traditions, so be supportive rather than refusing to change.
• Accept feedback. Welcoming input helps to ensure that a tradition is something the entire family looks forward to and enjoys. Make it practical for everyone to participate. Be willing to accept feedback.
As you consider these suggestions and brainstorm ideas with your loved ones, you can start family traditions that bring joy, strengthen family ties, and create lasting memories.

Chris Eschler earned a BS in Marriage and Family Sciences at Brigham Young University-Idaho. As a life coach at Ascend Counseling and Wellness. Chris works with individuals to develop their skills and provides a safe, accepting environment for exploring a wide range of thoughts and feelings. Chris knows that you are the expert of your life and that she is simply a guide. She currently sees couples with her husband, licensed therapist Matt Eschler. Together they assist couples with all couples issues, specializing in high conflict couples work. To schedule an appointment with Chris for life coaching, call Ascend Counseling and Wellness at 435-688-1111 or visit https://ascendcw.com/.




By Dr. Ryan Robison, SouthWest Vision

It’s not unusual to hear complaints about eyestrain, eye fatigue, blurred vision, dry or red eyes, and even headaches. There is often a strong correlation between these symptoms and the amount of time spent on computers, tablets, or smartphones.
Our visual system isn’t designed to stare at screens for prolonged hours. With changes in technology, your eyes are being used in new and demanding ways. This can cause any of the symptoms described above.
This condition is called Computer Vision Syndrome (digital eyestrain) and refers to the discomfort associated with prolonged digital device use, specifically televisions, computers, smart phones, e-readers, and tablets.
So what can you do to keep your eyes healthy while using digital devices? First, use the proper prescription. If you don’t, this can cause headaches and eyestrain that could have been easily avoided. Many patients find comfort with computer glasses that provide a wider focus for both computer and reading distances.
Second, reduce glare from excessive lighting. Overhead lighting or sunlight can cause reflections on your monitor. You can adjust the brightness,
contrast, or size of your font to reduce strain. Many patients report improved comfort on e-readers by adjusting text size.
Third, blink! Studies show that people blink less when reading or watching TV, which causes tear evaporation and dryness. Sometimes treatments or medications may be needed, such as radio frequency, punctal plugs, fish oils, prescription eye drops, or artificial tears.
Finally, take breaks! Staring at screens will strain your eyes. The muscle in your eye that accommodates can get overworked and needs to relax periodically. This can be done with the twenty/twenty rule. For every twenty minutes of near activity take a twenty second break and blink several times.
Studies also show that prolonged exposure to LED screens can damage retinal cells and increase risk for macular degeneration. Luckily, there are lenses that block this damaging light.
With the ease technology offers, you must take precautions to avoid the damaging effects to your eyes.
To schedule an appointment with us, call 435-673-5577, or visit our website at SouthWestVision.com

About the Author
Dr. Robison is a native of St. George. He is a graduate of Dixie High School, Dixie College (Utah Tech University), Brigham Young University, and Pacific University College of Optometry. He has memberships in the BYU Management Society, American Optometric Association, and the Utah Optometric Association. He is currently on the Board of Directors for the Utah Optometric Association and has served on the Board of Directors for the St. George Area Chamber of Commerce and SouthWest Federal Credit Union. Additionally, he has served as President of the St. George Exchange Club. He and his wife, Josie, are the proud parents of 4 beautiful children.

By Koby Taylor, PharmD
My journey toward better health has been anything but linear. It’s been a winding path full of unexpected turns, challenges, and revelations. This story spans several decades, beginning with my deep-rooted interest in science and culminating in a profound understanding of what it truly means to take care of oneself.
I graduated in 1990 with a degree in molecular biology and a minor in chemistry from Brigham Young University. My fascination with genetics and the intricate details of human biology was evident from an early age. After graduation, I sought to make a career in molecular biology but soon realized that the field was not financially rewarding at the time. Consequently, I found myself working as a pharmacy technician, a role that eventually sparked my interest in becoming a pharmacist. This shift was not initially planned, but as I immersed myself in the world of pharmaceuticals,
I found a new calling. I applied to pharmacy schools and was accepted at both Oregon State and the University of Utah. I chose the University of Utah and embarked on a transformative journey in my professional life.
During pharmacy school, I developed a keen interest in unconventional therapies, particularly compounding. While Western medicine was heavily process-oriented and protocoldriven, I was drawn to the innovative and sometimes unorthodox approaches that compounding offered. My lifelong habit of reading diverse research articles and staying abreast of new scientific advancements only fueled this interest.
My professional career began at a retail pharmacy, where I
FUSION PHARMACY Santa Clara (435) 703-9680 | St. George (435) 656-2059 | www.FusionSpecialtyPharmacy.com
worked for twenty-two years. However, it was during my tenure at a local grocery store that I faced my first major health challenges. The store’s policy of allowing refills of soda mugs for just one dollar a day led me to consume an excessive amount of soda—up to seventy-two ounces daily. This high sugar intake, combined with a poor diet lacking vegetables, contributed to a downward spiral in my health. Over time, I managed six different doctors and nine prescription medications, battling heartburn, high cholesterol, high blood pressure, and severe life stress. My health deteriorated, manifesting in conditions like depression and weight gain.
Determined to turn my life around, I left the grocery store and opened my own compounding pharmacy. This new chapter allowed me to explore alternative treatments and deepen my knowledge of nutrition. By 2015, I became increasingly interested in how dietary changes could impact overall health. However, my personal life was also undergoing significant stress, including a divorce in 2015, which only added to my health challenges.
Despite these setbacks, I sought answers beyond conventional medicine. I visited the ER multiple times for panic attacks and high blood pressure, and eventually sought help at a wellness center. Comprehensive examinations showed that while my heart was in good shape, my overall well-being was not where I wanted it to be. My hair was falling out, I struggled with sleep, and I continued to experience high blood pressure and other symptoms. The standard advice to eat more fruit and vegetables, exercise, and lose weight seemed insufficient given my ongoing health struggles.
In my quest for answers, I discovered amino acid therapy through a course by Jared Dupree, founder of St. George Health & Wellness Magazine. This reawakening of my interest in genetics and chemistry helped me understand how amino acids could affect mental health. Integrating these therapies into my routine, along with supplements like magnesium and vitamin D, led to noticeable improvements. My health metrics improved, and I was able to reduce some of my medications. The journey toward better health became more about continuous learning and adaptation rather than quick fixes.
In 2021, I felt revitalized and healthier than I had in years. However, my progress was abruptly halted when I contracted the Delta

About the Author
variant of COVID-19. The illness severely affected my body, leading to long-lasting symptoms like loss of taste and smell, brain fog, and persistent fatigue. Many of the treatments that had previously worked for me were no longer effective. My recovery involved exploring alternative therapies such as ketamine, nicotine, and ivermectin treatments, which proved beneficial. I also addressed issues like neck pain through acupuncture and chiropractic care.
Despite these efforts, my health challenges reached a critical point in September 2023 when I experienced a heart attack. This was a stark reminder that health is an ongoing journey, not a final destination. The heart attack was caused by a clot in my right coronary artery, likely formed during my bout with COVID-19. Thankfully, a skilled surgeon was able to clear the blockage and place two stents, which significantly improved my condition. I began a new regimen of prescription medications, though managing these came with its own set of challenges, including side effects like irregular heart rhythms, muscle pain, and a severe GI bleed.
Through this process, I learned the importance of comprehensive lab testing and more nuanced approaches to cardiovascular health. I started incorporating more thoughtful lifestyle changes, including a detailed focus on diet and exercise. I also began parasite cleanses and used allergy treatments to address underlying issues affecting my immune system and overall health. These two therapies have been some of the most transformational health therapies that I have ever done and the most impactful therapies on my journey to wellness.
Today, I am healthier and more energetic than I have been in a long time. My journey has taught me that health is not a static goal but a continuous process of learning, adapting, and evolving. Each stage of my life has brought new insights and challenges, reaffirming that the path to well-being is an ongoing journey rather than a one-time achievement. This experience has not only deepened my understanding of health but has also shaped the way I approach my work and personal life.
I now lead every discussion with patients from the perspective that health is a dynamic journey. I share my knowledge and experiences to help others navigate their own paths to well-being, emphasizing that there is always a path to wellness and that we are all capable of change and improvement. Our results follow within the journey, not as a fixed destination but as a continual process of growth and adaptation.
Koby Taylor, PharmD, is the owner and pharmacist of Fusion Pharmacy. Working as a retail pharmacist early in his career, Koby began to see that pharmacy patients needed to have access to available alternative medications. He realized that pharmacy in its truest form is compounding, and he wanted to be able to provide patients with customized medications. He also desired more personalized interactions with patients in order to truly help their health and well-being. To fulfill his passion for improving the health of patients and educating them about compounding, Koby opened the doors of Fusion Pharmacy in 2013. Today, Fusion is nationally accredited with PCAB. It is licensed in and ships to 32 states. Fusion is proud to have two locations to better serve the southern Utah community. Koby graduated from Brigham Young University with a degree in molecular biology in 1995 and from the University of Utah with his Doctorate of Pharmacy in 2000.


(NOUN)
By Steve Wilson, Post Career Advisor
In youth we learn; in age we understand. —Marie von Ebner-Eschebbach
Have you ever seen someone studying a painting in an art gallery? Typical body movements often include cocking the head to one side, possibly furrowing the brow, then taking a step back before nodding an approval and moving on. This casual observance teaches a valuable lesson about perspective.
The lesson is this: all significant forward progress begins with a step back. Although it seems counterintuitive, it is by stepping back that we appreciate where we’ve been, where we’re going, and the best way to get there. When perspective is missing, decisions get made out of context, which can result in reaching the top of our ladder only to discover it was leaning against the wrong wall.
Perspective grows incrementally through life experiences and is commonly measured by birthdays. For example, reaching
fifty years of age is a point when many take a step back. Fifty isn’t the end of life, but you can see it from there. At fifty, you see the circle of life as you assist the generation ahead (parents, elderly relatives, and neighbors) while simultaneously encouraging and mentoring those behind (children, nieces and nephews, and perhaps grandchildren). In time, you grow comfortable with this role—although you may be puzzled over how you became so old!
Perspective evolves over time and was wonderfully described by Dr. Daniel Amen as the 18/40/60 principle in his book Change Your Brain, Change Your Life. Dr. Amen’s theory goes like this:
• At age 18, we’re convinced all eyes are upon us, watching our every move while rendering judgments about our choices, our thoughts, where we hang out, and with whom we spend our time.
• At age 40, we stop worrying about what others think and decide it doesn’t matter. Instead, we determine to live life as we please.


• , we realize no one was ever actually watching, thinking, or caring about us. They were too busy thinking and caring about themselves the entire time.
It is at this point the observation made by Marie von EbnerEschenbach becomes instructive. She wrote, “In youth we learn, in age we understand.” Marie came to discover that learning and understanding are different. Yet there comes a time when learning and understanding combine, perhaps just as two lenses in a single pair of glasses merge together for better vision. Those over the age of fifty are likely familiar (or soon will be) with a vision adjustment technique where a portion of the lens is adjusted to see in the distance and another for reading. The brain does the work and blends the strengths of each focal point to create unified or integrated vision.
Lyman Hafen Author, Community and Culture

Where to begin? The perspective of Stephen R. Covey is instructive. He said, “Begin with the end in mind.” Plan time in quiet reflection; consider what life has taught you and what you understand. Then ask yourself this question: Who do I want to in retirement?
Once you’re clear about who you want to be, where to devote your time and energy will become clear. Remember, you have lifelong learning and understanding to offer. You can make a difference.
Marianne Hamilton Author, Community and Culture

Rob Henderson, LASUDC, CTRS Author, Mind and Body
Retirement is a gift given to a fortunate few to bless the lives of others and make the world better. Don’t waste it!

In the same way, learning and understanding combine to create wisdom. Using the unique learning and understanding gained over a lifetime is the foundation upon which successful retirements are built.
Wisdom and a desire to make a difference coupled with the courage to act is the formula for a satisfying retirement.
Newman, RDN, CD
Nutrition and Eating

William
Plumb, DDS Author, Oral Health

L. Steven Wilson Author, Purposeful Living
Steve is the former CEO of St. George Regional Medical Center, St. George, Utah. He authored next—Redefining Retirement; Lessons for Life’s Transitions with Lisa G. Larson and speaks frequently to those preparing to leave their careers. He serves on the Board of the Institute for Continued Learning. His post career “hobby” is real estate investing, and he is Associate Broker for Utah First Property Management, a company his son Bryan founded. To contact Steve go to wilson.stg@gmail.com.
information on advertising or other inquiries, visit our website at www.sghealthandwellnessmagazine.com, email diane.sghealth@gmail.com or call us at (435) 236-2966.
responsible for the accuracy of the articles in St. George Health & Wellness Magazine. The information contained within has been obtained from sources believed to publisher nor any other party assumes liability for loss or damage as a result of reliance on this material. Appropriate professional advice should be sought before our staff authors, articles written by providers or professionals are invited authors and represent the opinions of that particular individual, business, group or organization. If an article is a paid advertisement, we will place the word “Advertisement” or “Advertorial” to identify it as such. ©Copyright 2024.

4/8/24 9:15 PM


Article Courtesy of Infowest
Talking to your children and grandchildren about the internet can be intimidating. Many adults feel like the children in their lives know more about it than they do.
The internet is a fun place to learn, play games, and talk to friends. But just like the real world, the online world has some risks, too. Here are some easy tips to help keep children safe online and provide some wisdom:
1. Talk About the Internet. Start by talking to your children about the internet. Explain to them that, just like any tool, it can be used safely and promote good health or it can be dangerous. Encourage them to tell you if something makes them feel uncomfortable when they are online. Ask about the websites they visit, the games they play, and the people they talk to online. Having open conversations will help your children feel safe when approaching you if they encounter any problems online.
2. Set Rules and Limits. Set clear rules about how your children and grandchildren can use the internet. Decide how much time they can spend online, what websites they can visit, and what games they can play. Use apps, like InfoWest’s Connect Plus, to set limits. Control screen time, block certain websites, and get alerts when your child tries to visit something they shouldn’t.
3. Protect Personal Information. Make sure your children know that they should never share personal information online, like their name, their address, or the name of their
school. This helps keep them safe from strangers. Create strong passwords for their accounts, and remind them not to share these passwords with anyone. Children have young minds, and teaching them good habits early will pay dividends.
4. Watch Out for Cyberbullying.Cyberbullying is when someone is mean or abusive to others online. Talk to your children about cyberbullying, and let them know they can come to you if a stranger or someone they know is being mean to them. Cyberbullying can come from anywhere.
5. Learn About New Apps and Games. The internet is always changing, and new apps and games come out all the time. Make sure you know what apps and websites your children are using. Staying informed will help you understand whether these platforms are safe for them. Ask your children about the apps and games they play.
6. Be a Good Example. You would be surprised what your children learn by watching you. Practice the tips listed above yourself, and make sure you’re setting a good example.
By following these simple steps, your children and grandchildren can enjoy the internet. Talk with them often, set clear rules, and stay involved in what they do online. With the right tools and guidance, you can make sure their time online is fun and safe.
For more tips on internet safety and to learn about familyfriendly internet services, visit InfoWest.com

Article
Courtesy of Family Features
Take a deep breath. Now ask yourself: When was the last time you thought about breathing? For people with chronic obstructive pulmonary disease (COPD), breathing is often front of mind because it can be difficult, and it gets worse over time.
There is no cure yet for COPD, but experts from the National Heart, Lung, and Blood Institute (NHLBI) recommend these strategies to protect your lung health at every age.

COPD is less common in younger adults, but it’s never too early to protect your lungs. The most important way to prevent COPD is to not smoke. According to the Centers for Disease Control and Prevention, about 75 percent of people with COPD have a history of smoking. Smoking isn’t the only risk factor for COPD. Exposure to secondhand smoke, air pollution, chemical fumes or dust from the environment or workplace can also increase your risk. If you breathe in lung irritants at work, talk to your employer about how to limit exposure.
People with a genetic condition called AAT (Alpha-1 Antitrypsin) deficiency, sometimes known as Alpha-1, may have COPD-like symptoms as early as age twenty. If you have symptoms or a family history of COPD, talk to your health care provider about being tested for AAT deficiency.
“It’s a simple, quick and highly accurate test that could improve the lives of some people with COPD,” said Dr. Mihaela Stefan of the NHLBI.
Most people are forty or older when COPD symptoms start. Symptoms include shortness of breath, coughing, wheezing, chest tightness, and fatigue. These are not just signs of getting older, and they’re not the same as seasonal allergies.

If you have symptoms, ask your health care provider if you should be tested for COPD. Discuss your smoking habits, family history of COPD, and long-term exposure to lung irritants. Your health care provider may recommend lung function tests or imaging to diagnose COPD.
If you smoke, get help to quit. You don’t have to go it alone. Family, friends, your healthcare provider, and support groups can all lend a hand.
Older adults are at greater risk of COPD. If you’ve been diagnosed, follow your treatment plan and take medicines as prescribed.
Lifestyle changes can help people with COPD breathe better. Talk to your health care provider about pulmonary rehabilitation, a personalized treatment program that teaches COPD management strategies. Ask about an eating plan that will meet your nutritional needs and what types of physical activity you can safely do. Stay up to date with vaccinations against flu and pneumonia. If you smoke, quitting is the best thing you can do to slow the progression of COPD and is an important part of COPD treatment plans. Ask your provider about options for quitting.
At any age, taking care of your lungs is crucial. Learn about COPD from Learn More Breathe Better® at copd.nhlbi.nih.gov.


By Diane Del Toro
As the director of operations for St. George Health & Wellness Magazine, I have had the opportunity over the years to write articles about many of the charitable organizations located in the Southern Utah area. The more I learn about the wide range of needs in our community, the more I am incredibly grateful for and inspired by those who sacrifice their days and nights to feed the hungry, shelter the homeless, train the unemployed, and protect the weak. Many of these people oversee the dozens of nonprofit organizations that operate throughout the county, and they rely on us to help them.
Profiled in this article are twelve service organizations in Washington County that can use your support and will gratefully receive your donation of goods, time, or money. You can find many more by going to justserve.org or stgeorgechamber.com. As you read through these profiles, thoughtfully consider one way (or many ways) you can make a difference by serving, giving, or donating.

Root for Kids is a nonprofit organization that provides services for children and families in need of extra support. Since 1993, Root for Kids has served over 16,000 families through Early Head Start, Early Intervention, and Parents as Teachers home visiting programs in Washington County, Utah, and the Arizona Strip. All services are based on eligibility and are provided at no cost to the families.
The Root for Kids website provides valuable information about their mission. Click on “How You Can Help” at the top of the page.
Contact information:
2044 S. Mesa Palms Drive
St. George, UT 84770
435-673-5353
www.rootforkids.org

Tan’s Treats is a nonprofit organization dedicated to fighting childhood hunger in the Southern Utah area. Each year, thousands of children in the United States get out of school for the weekend and return home to a less than adequate supply of food. Their needs during the week are being met with school breakfast and lunch, but they go hungry over the weekend. Tan’s Treats coordinates with the schools in the area to get these children weekend and holiday meals.
A donation of $20 will provide weekend meals for one child for a month. Click on “Get Involved” on the Tan’s Treats website. Most pressing needs include canned dinners high in protein (chicken noodle soup, Vienna sausage, etc.) and breakfast bars (Nutri Grain bars, Poptarts, etc.).
Contact information: 435-627-3163 tanstreats@gmail.com www.tanstreats.com

The objective of Utah Food Bank is to fight hunger statewide. It works tirelessly with community partners and volunteers to continue fulfilling this mission. In addition
to being one of only a handful of food banks that distributes food free of charge to partner agencies, it also offers several direct service programs to help children and seniors, the most vulnerable populations in our state. By combining these direct service programs with its emergency food assistance services, Utah Food Bank impacts the lives of Utahns who live in a world of food insecurity.
Most pressing needs include canned goods and non-perishable food items.
Contact information: Southern Distribution Center 4416 S. River Road St. George, UT 84790 435-656-9122 www.utahfoodbank.org





The DOVE Center is a nonprofit organization committed to cultivating an informed community free from domestic abuse and sexual violence. It works to empower those impacted by domestic abuse and sexual violence by providing safe shelter and trauma-informed services to facilitate safety, healing, and assault recovery. Additionally, it relentlessly pursues community education to increase bystander awareness and shift culture norms.
Go to the DOVE Center website and click on “Ways to Give” at the top of the page. Most pressing needs: Gifts cards in the amount of $25 or $50 for local grocery stores, Walmart, Target, Costco, or VISA. These allow the DOVE Center to assist clients with essential needs.
Donation Drop Office Address: 455 W. Vincent Lane Washington, UT 84780
Drop off days: Tuesday and Thursday, 9:00 a.m. to 1:00 p.m.
Outreach Center: 435-628-1204 www.dovecenter.org

Switchpoint provides support and service to the homeless. Its mission is to empower families and individuals in need by addressing the underlying causes of their poverty and providing each client with a personalized, comprehensive plan that supports them on their journey to self-sufficiency. It believes each individual has worth and value and that change occurs when people are treated with respect and dignity and empowered with skills and resources to better their circumstances.
The Switchpoint website provides a comprehensive overview of their mission. Click on “Ways to Help” at the top of the page. Most pressing needs include Sun Tran ten-ride punchpass cards, gas cards, grocery cards (Walmart, Lin’s, Target, Smith’s), and shelter maintenance cards (Home Depot, Lowe’s, Ace Hardware).
Contact information: 948 N. 1300 W. St George, UT 84770

435-628-9310
info@switchpointcrc.org www.switchpointcrc.org




Big Brothers Big Sisters of Utah provides mentoring relationships for youth who are facing opportunity gaps. For more than forty years, Big Brothers Big Sisters of Utah has matched Bigs (volunteer mentors) with Littles (children in the program) to ignite the potential of Utah children and promote a positive outcome for everyone.
Visit the Big Brothers Big Sisters website to learn how to volunteer or donate.
Contact information:
530 E. Tabernacle Street
St. George, UT 84770
435-986-9776 www.bbbsu.org

The DinosaurAH!torium Foundation, in partnership with the City of St. George, manages and operates the museum and gift shop at the St. George Dinosaur Discovery Site. Additionally, the foundation raises money through granting agencies and private donors for various exhibits and projects. Its mission is to research, preserve, interpret, and exhibit the fossil resources of the area and the story of this specific site for the benefit, education, and enjoyment of the Southern Utah community and the entire world.
Visit the St. George Dinosaur Discovery website to learn how to volunteer or donate.
Contact information:
2180 E. Riverside Drive
St. George, UT 84790
435-574-3466
info@utahdinosaurs.org www.utahdinosaurs.org





Socks for Souls is a nonprofit community organization that collects and distributes socks and underwear to homeless shelters, women’s and children’s abuse centers, doctor’s free clinics, refugee centers, and individuals in need throughout Utah. Socks are the number one requested and least donated clothing item for those in need.
Most pressing needs: new socks and underwear of all sizes
Organization Point of Contact: Kelly Kendall 435-669-3377
kelly.healthandwellness@gmail.com

Family Healthcare, a 501(c)(3) registered charity since 2002, serves the integrated medical, behavioral, and dental care needs of almost 10 percent of the population of southwest Utah. They are committed to “Making Lives Better” by removing the barriers hard-working families face when receiving healthcare services. At Family Healthcare, patients receive affordable payment options, patient-centered care, caring and professional doctors and staff, walk-in and same-day appointments, bi-lingual service, a discounted pharmacy program, discounted dental services, and discounted mental health care.
Family Healthcare’s website provides information about their mission, services, and ways to donate.
Contact information:
2276 E. Riverside Drive
St. George, UT 435-294-2128 info@familyhc.org www.familyhc.org

Habitat for Humanity of Southwest Utah is a nonprofit organization that builds, renovates, or repairs homes for qualified families in Washington County, Utah. Since 1998, they have been building homes for families in need of safe, decent, and affordable housing through the generous support of countless volunteers, donors, and community partners. Habitat for Humanity of Southwest Utah envision a world where everyone has a decent place to live and the opportunity for a better future.
Donate or volunteer through the Habitat for Humanity website, or donate/shop at the Habitat Restores in Hurricane and Cedar City, Utah.
Contact Information:
39 Main Street, Hurricane, UT 84737 435-628-4041
Director@habitatswu.org www.habitswu.org.
Memory Matters Utah (formerly the Alzheimer’s and Dementia Society) is a grassroots service organization dedicated to reducing isolation and improving wellness for individuals with dementia and their caregivers. They serve the Southern Utah community person-to-person, with compassion, responsiveness, integrity, and professionalism. Services include support groups, Memory Activity Club, private caregiver consultations, early stage memory loss classes, and the Good Morning Sunshine telephone reassurance program. For information about how to donate or volunteer, visit the Memory Matters Utah website.
Contact information:
168 N. 100 E. #104 St. George, UT 84770 435-319-0407 memorymattersutah@gmail.com www.memorymattersutah.org

Established in 1998 by the Washington County Medical Association, the Doctors’ Volunteer Clinic is a nonprofit, non-government healthcare organization that provides access to affordable health services for the uninsured, underinsured, and low-income in Southern Utah. They act as a safety net of services that includes primary medical care, mental health services, and dental care. If you are a community member seeking to volunteer, they have opportunities in supporting roles, such as assisting in the front office or at the resource desk Visit their website for more information.
Contact information: 1036 East Riverside Drive St. George, UT 84790 435-656-0022 info@volunteerclinic.org www.volunteerclinic.org

