St. George Health & Wellness Magazine March/April 2025

Page 1


Joint and Arthritis Center

CALL OR TEXT - (435) 288-0664

Joint and Arthritis Center 1490 East Foremaster Dr., Ste 220 St. George, Utah 84790

Vista Healthcare’s

Joint & Arthritis Center in St. George, led by Michael A. Grant, MD, is an innovative clinic specializing in the treatment of a wide range of musculoskeletal diseases and systemic autoimmune conditions.

Comprehensive Care for Joint Health

RHEUMATOLOGIST

MICHAEL A. GRANT, MD

FIND OUT WHAT’S CAUSING YOUR SYMPTOMS WITH A PERSONALIZED ARTHRITIS SCREENING.

Joint swelling, sti ness, and fatigue can indicate di erent types of arthritis .

At Vista Healthcare Joint and Arthritis Center, our specialists can identify the cause and tailor a treatment plan to your needs.

LEARN MORE AND GET SCHEDULED AT

www.vista-hc.com/arthritis

Treating numerous joint conditions under one roof:

RHEUMATOID ARTHRITIS OSTEOARTHRITIS OSTEOPOROSIS

LUPUS GOUT & MORE

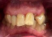
Say Goodbye to Dentures!

You'll never have to worry about your teeth slipping or

Eat and smile like you have had these teeth for your

Prevent bone loss and gum recession while preserving the jawbone and maintain a more youthful facial structure

• An investment that can last a lifetime

• Increased chewing capacity—eat foods like apples, steak, corn on the cob, and more

• Same day full-arch restoration with only four implants

• No more traditional dentures & no more denture sores

• Easy to clean and care for

Sanctuary Holistic Wellness is a collective of lightworkers dedicated to healing, transformation, and spiritual awakening. Rooted in the mind-body-spirit connection, we provide holistic solutions that cleanse, detoxify, and restore balance.

Revitalize Your Health, Inside and Out!

Experience our advanced and unique therapies designed to detoxify, rejuvenate, and restore balance to your body.

TEN-DAY DETOX –DEEP HEALING and REJUVENATION

Our signature Ten-Day Cleanse is more than just a physical detox, it’s a journey of renewal, helping you release the past and step into a revitalized you. Rooted in natural, timehonored healing, this program harnesses the power of pure water, herbs, and nourishment to support deep cellular cleansing and transformation.

• Basic Cleanse – a foundational detox to kickstart your healing journey.

• Advanced Cleanse – a deeper, more intensive cleanse for enhanced detoxification and rejuvenation.

Both options provide a holistic reset designed to cleanse, restore, and renew your mind, body, and spirit.

COLON HYDROTHERAPY – CLEANSE and DETOXIFY

Flush out toxins, parasites, and waste buildup to enhance digestion, energy, and overall well-being.

SPECTRA LIGHT THERAPY –HEAL WITH LIGHT and FREQUENCY

Boost circulation, reduce pain, and enhance healing with photo-biomodulation and Rife frequency therapy.

Guided by God’s light, we empower our community to reclaim vitality, clarity, and harmony, creating a sanctuary for renewal and self-discovery. and center, Our signature offering is a specialized 10-day detox regimen, allowing individuals to process toxins on a cellular level and release the layers of the profound interconnectedness of the mind, body, and where each person can heal, transform, and rediscover their Let us support you on your path to wellness.

QUANTUM BIO SCAN –DISCOVER YOUR BODY’S BLUEPRINT

This cutting-edge technology provides a comprehensive analysis of your body’s biofield, helping you identify imbalances and areas in need of support. This information can guide you toward a personalized path to better health.

Experience Sanctuary Holistic Wellness

Your journey to healing starts here!

By Appointment Only 1255 W. Sunset Blvd, Suite 5 St. George, UT 84770 Call us at 435-599-0456 or book online today! www.thesanctuaryholisticwellness.com

MAY/JUNE 2024

MARCH/APRIL 2025

Financial Well-Being

Health and Fitness

Snow Canyon’s Unique Ecosystem Accessible Trails Are Waiting to Be Explored 14

Core Training to Improve Your Golf Swing ..................................................... 20

Take Advantage of Outdoor Activities during the Summer 22

Women’s Health: Pregnancy during the Summer Months....................................

Stay to Keep That Glow ................................................

I Only like Riding Downhill ........................ Are You at Risk for Prediabetes? 30

Greenlight Your Favorite Family Dinners

Vista Healthcare: Helping Those Suffering from Accident-Related Injuries

Keep Your Pet Safe and Healthy This Summer

Untangling the Threads: Exploring the Differences between Dry Needling and Acupuncture

Halitosis or Bad Breath: I Don’t Want Either One

Let’s Get Back to Basics.................................

DIY Car Care for Everyone ..........................

Don’t Let the Tax Tail Wag the Dog

Walk Your Way to Better Health

How a

1,500-Foot Climb (and This Magazine) Taught Me Everything I Need to Know About Achieving Goals

Let’s face it: winter can leave us feeling a bit like a cluttered attic. We’ve been hibernating and indulging in comfort food. Maybe our exercise routines have been on a ski vacation (along with our motivation). But guess what? Spring has fully sprung, and just like this season motivates us to tackle the cobwebs and dust bunnies in our homes, it can also inspire us to declutter our health routines!

Let’s face it: winter can leave us feeling a bit like a cluttered attic. We’ve been hibernating and indulging in comfort food. Maybe our exercise routines have been on a ski vacation (along with our motivation). But guess what? Spring has fully sprung, and just like this season motivates us to tackle the cobwebs and dust bunnies in our homes, it can also inspire us to declutter our health routines!

Springtime in southern Utah is deceptive. The air is crisp, the sandstone glows in the warm sun, and the sky is so blue it feels like a painting. It’s the kind of beauty that tricks you into thinking nature is your friend. But nature, much like bad life choices, has a way of humbling you when you least expect it.

Let’s face it: winter can leave us feeling a bit like a cluttered attic. We’ve been hibernating and indulging in comfort food. Maybe our exercise routines have been on a ski vacation (along with our motivation). But guess what? Spring has fully sprung, and just like this season motivates us to tackle the cobwebs and dust bunnies in our homes, it can also inspire us to declutter our health routines!

My friend Dave is the perfect example. A self-proclaimed “professional Netflixer and snacker,” Dave spent most winter evenings glued to the couch, his only companion a giant bag of flavored chips. By spring, he felt sluggish. His clothes seemed tighter, and his energy levels were as low as a dead phone battery.

My friend Dave is the perfect example. A self-proclaimed “professional Netflixer and snacker,” Dave spent most winter evenings glued to the couch, his only companion a giant bag of flavored chips. By spring, he felt sluggish. His clothes seemed tighter, and his energy levels were as low as a dead phone battery.

My friend Dave is the perfect example. A self-proclaimed “professional Netflixer and snacker,” Dave spent most winter evenings glued to the couch, his only companion a giant bag of flavored chips. By spring, he felt sluggish. His clothes seemed tighter, and his energy levels were as low as a dead phone battery.

One fine spring day back in the late 1990s, my friends and I decided to hike up Red Mountain near Ivins, Utah. Unlike its name suggests, Red Mountain isn’t a traditional peak. It’s a rugged expanse of red sand, slickrock, and sandstone outcrops rising through a tangle of pinyon pines, Utah junipers, sagebrush, manzanita, and scrub oak. It looks inviting. It looks doable. It looks like something you could conquer in an hour if you just had a good sense of direction and two functioning legs.

But Dave, bless his heart, is nothing if not resourceful. Inspired by the blooming flowers outside and the urge to finally clean his overflowing junk drawer, he decided to clean up his health, too. Out went the nightly snacking sessions—replaced with a bowl of fruit and Greek yogurt—and in came a brisk evening walk around the park with his four-legged companion, Ruger. At first, it wasn’t easy: the couch had a powerful siren call. But Dave persevered one step at a time.

We, however, had neither of these things. The plan—and I use that word loosely—was to follow a well-known route to the top. The problem was, we didn’t know any well-known routes. So instead of doing the logical thing—like, say, finding a map or asking someone who had done it before—we made the most reckless decision possible:

But Dave, bless his heart, is nothing if not resourceful. Inspired by the blooming flowers outside and the urge to finally clean his overflowing junk drawer, he decided to clean up his health, too. Out went the nightly snacking sessions—replaced with a bowl of fruit and Greek yogurt—and in came a brisk evening walk around the park with his four-legged companion, Ruger. At first, it wasn’t easy: the couch had a powerful siren call. But Dave persevered one step at a time.

But Dave, bless his heart, is nothing if not resourceful. Inspired by the blooming flowers outside and the urge to finally clean his overflowing junk drawer, he decided to clean up his health, too. Out went the nightly snacking sessions—replaced with a bowl of fruit and Greek yogurt—and in came a brisk evening walk around the park with his four-legged companion, Ruger. At first, it wasn’t easy: the couch had a powerful siren call. But Dave persevered one step at a time.

“Let’s find our own way to the top.”

Within a few weeks, Dave felt like a whole new person. He had more energy, his clothes fit better, and his confidence surged. The walks became a source of joy, a chance to connect with nature and clear his head. Ruger is loving it, too. Spring cleaning his health did wonders for Dave, both physically and mentally.

Within a few weeks, Dave felt like a whole new person. He had more energy, his clothes fit better, and his confidence surged. The walks became a source of joy, a chance to connect with nature and clear his head. Ruger is loving it, too. Spring cleaning his health did wonders for Dave, both physically and mentally.

Within a few weeks, Dave felt like a whole new person. He had more energy, his clothes fit better, and his confidence surged. The walks became a source of joy, a chance to connect with nature and clear his head. Ruger is loving it, too. Spring cleaning his health did wonders for Dave, both physically and mentally.

How can you tidy up your bad health habits? Here are some ideas:

At first, it was fine. The sand was deep, and the brush was thick, but the ascent felt natural. Then came the ledges. And the sheer drops. And the moments where we should have had ropes and climbing gear but instead had only our wits, which were quickly evaporating in the desert sun.

How can you tidy up your bad health habits? Here are some ideas:

How can you tidy up your bad health habits? Here are some ideas:

• Read more articles. Take time to read all the articles in this issue of St. George Health & Wellness Magazine. Then, apply what you learn.

• Read more articles. Take time to read all the articles in this issue of St. George Health & Wellness Magazine. Then, apply what you learn.

• Read more articles. Take time to read all the articles in this issue of St. George Health & Wellness Magazine. Then, apply what you learn.

There were times when hiking turned into scrambling, scrambling turned into crawling, and crawling turned into questioning every life choice we had ever made. There were points where we had to backtrack because the way forward involved a vertical climb that no amount of optimism could turn into a “manageable step.” And there were moments of silence—the kind where everyone was quietly wondering how much trouble we were actually in.

• Swap your soda for sparkling water. It may sound simple, but ditching sugary drinks can make a big difference. Add a squeeze of citrus for some flavor!

• Swap your soda for sparkling water. It may sound simple, but ditching sugary drinks can make a big difference. Add a squeeze of citrus for some flavor!

• Swap your soda for sparkling water. It may sound simple, but ditching sugary drinks can make a big difference. Add a squeeze of citrus for some flavor!

• Trade the elevator for the stairs. Your heart will thank you. And those extra steps will help you to reach your daily step count.

What should have been a strenuous but reasonable hour-and-a-half hike turned into a four-and-a-half-hour ordeal—four and a half hours of scraping our hands on rocks, second-guessing our choices, and trying not to plummet to an untimely and embarrassing end.

• Trade the elevator for the stairs. Your heart will thank you. And those extra steps will help you to reach your daily step count.

• Trade the elevator for the stairs. Your heart will thank you. And those extra steps will help you to reach your daily step count.

• Dust off your workout gear. Remember those fancy yoga pants you bought with good intentions? Time to unleash their inner warrior! Even a short workout is better than no workout at all.

• Dust off your workout gear. Remember those fancy yoga pants you bought with good intentions? Time to unleash their inner warrior! Even a short workout is better than no workout at all.

• Dust off your workout gear. Remember those fancy yoga pants you bought with good intentions? Time to unleash their inner warrior! Even a short workout is better than no workout at all.

• Declutter your kitchen. Get rid of those processed snacks lurking in your pantry. Replace them with fresh fruits and veggies—a vibrant spring bouquet for your insides!

Then, finally, we made it to the top. From the summit, everything looked different. We could see the entire valley spread out below us: the sandstone cliffs of Snow Canyon, the quiet town of Ivins, the winding roads and trails that suddenly made perfect sense from our higher perspective. And most importantly? We could see an easier way down. We had spent nearly five hours clawing our way up the hard way only to realize that a much better path had been just a little to our right the entire time.

• Declutter your kitchen. Get rid of those processed snacks lurking in your pantry. Replace them with fresh fruits and veggies—a vibrant spring bouquet for your insides!

• Declutter your kitchen. Get rid of those processed snacks lurking in your pantry. Replace them with fresh fruits and veggies—a vibrant spring bouquet for your insides!

• Make sleep a priority. Spring days are longer, so don’t waste them feeling tired. Aim for seven to eight hours of sleep each night.

• Make sleep a priority. Spring days are longer, so don’t waste them feeling tired. Aim for seven to eight hours of sleep each night.

• Make sleep a priority. Spring days are longer, so don’t waste them feeling tired. Aim for seven to eight hours of sleep each night.

The way my friends and I climbed to the top of Red Mountain is often the way we approach our New Year’s goals. We start off with enthusiasm and confidence, setting ambitious resolutions—lose weight, drink more water, start meditating—without a clear plan or pathway for success. At first, things seem to go well. Then, the incline hits. Work gets busy. Motivation fades. One cheat day turns into a cheat week. Suddenly, we are off the trail. But instead of stopping to recalibrate, we just keep going in “a general direction” and hope it all works out. It never does.

Remember, spring cleaning your health is not about drastic changes; it is about making small, sustainable swaps. Think of it as a fun project, a chance to invest in yourself. So, roll up your sleeves, grab your metaphorical cleaning supplies (healthy snacks, comfy walking shoes), and get ready to feel your best this spring!

Remember, spring cleaning your health is not about drastic changes; it is about making small, sustainable swaps. Think of it as a fun project, a chance to invest in yourself. So, roll up your sleeves, grab your metaphorical cleaning supplies (healthy snacks, comfy walking shoes), and get ready to feel your best this spring!

Remember, spring cleaning your health is not about drastic changes; it is about making small, sustainable swaps. Think of it as a fun project, a chance to invest in yourself. So, roll up your sleeves, grab your metaphorical cleaning supplies (healthy snacks, comfy walking shoes), and get ready to feel your best this spring!

Getting to the top of anything is hard. But having a plan makes it easier. If my friends and I had started with the right information—if we would have asked someone who had been there before and mapped out the best route or if we would have researched a little bit—we could have saved hours of struggle. The same is true for your goals. When you decide to accomplish something, don’t make it harder than it needs to be. Ask for guidance. Make a plan. Follow a path that actually works. Otherwise, when you finally reach that better vantage point, you’ll see that there was always an easier way—you just couldn’t see it from the bottom.

All the Best,

All the Best,

All the Best,

Reaching the top of Red Mountain the hard way taught me a valuable lesson: having the right map makes all the difference. Whether you’re working toward better health, fitness, or overall well-being, the right guidance can save you time, frustration, and setbacks. In this edition of St. George Health & Wellness magazine, you’ll find expert advice, practical strategies, and inspiring stories to help you navigate your journey. No more wandering in the wrong direction! These articles are your map to a healthier, happier life.

USA Triathlon Certified Coach Author, Health and Fitness
Brendan Dalley Executive Editor
Annelies Newman, RDN, CD Author, Nutrition and Healthy Eating
Brendan Dalley Executive Editor
Koby Taylor, PharmD Executive Editor, Author
Koby Taylor, PharmD Executive Editor, Author Director of Operations, Copy and Design Editor
Diane K. Del Toro Director of Operations, Copy and Design Editor
Scott Allen, MD Author, Health and Wellness
Scott Allen, MD Author, Health and Wellness
Brigit Atkin Author, Mind and Body
Brigit Atkin Author, Mind and Body
Erin Del Toro, ACHE Clinical Hypnotherapist Author, Mind and Body
Erin Del Toro, ACHE Clinical Hypnotherapist Author, Mind and Body
Anita DeLelles, LMT, LAMT Author, Pet Wellness
Anita DeLelles, LMT, LAMT Pet Wellness
uthor, Health and Fitness
Koby Taylor, PharmD Executive Editor, Author
Diane K. Del Toro Director of Operations, Copy and Design Editor
Scott Allen, MD Author, Health and Wellness
Erin Del Toro, ACHE Clinical Hypnotherapist Author, Mind and Body
Anita DeLelles, LMT, LAMT Author, Pet Wellness
Lyman Hafen Author, Community and Culture
Annelies Newman, RDN, CD Author, Nutrition and Healthy Eating
William Plumb, DDS Author, Oral Health
Branden DuCharme Author, Financial Health
Lyman Hafen Author, Community and Culture
Marianne Hamilton Author, Community and Culture
Marianne Hamilton Author, Community and Culture
Tiffany Gust, MS, NBC-HWC, USA Triathlon Certified Coach Author, Health and Fitness
Diane K. Del Toro
Brigit Atkin Author, Mind and Body
Jessica Elgin Author, Economic and Financial Health
Erin Del Toro, ACHE Clinical Hypnotherapist Author, Mind and Body
Anita DeLelles, LMT, LAMT Author, Pet Wellness
Author, Community and Culture
Marianne Hamilton Author, Community and Culture
Annelies Newman, RDN, CD Author, Nutrition and Healthy Eating
L. Steven Wilson Author, Purposeful
Matt Eschler, PhD, LMFT Author, Relationships and Family
Chris Eschler Author, Health and Well-Being Life Coach
Annelies Newman, RDN, CD Author, Nutrition
Tiffany Gust, MS, NBC-HWC, USA Triathlon Certified Coach Author, Health and Fitness
Dalley
Brigit Atkin Author, Mind and Body
Erin Del Toro, Hypnotherapist Author, Mind
Lyman Hafen Author, Community
Annelies Newman, RDN, CD Author, Nutrition and Healthy Eating
Chris Eschler Author, Health Life Coach
Tiffany Gust, MS, NBC-HWC, USA Triathlon Certified Coach Author, Health and Fitness
Health
Lyman Hafen Author, and Culture
Marianne Hamilton Author, Community and Culture
Annelies
Jessica Elgin Author, Economic and Financial Health
Matt Eschler, PhD, LMFT Author, Relationships and Family
Matt Eschler, PhD, LMFT Relationships and Family Life Coach
Chris Eschler Author, Health and Well-Being Life Coach Lyman Hafen
William Plumb, DDS Author, Oral Health
William Plumb, DDS Author, Oral Health
Branden DuCharme Author, Financial Health
Gini Grimsley, Director of Fitness Product, VASA Fitness Author, Health and Fitness
Tiffany Gust, MS, NBC-HWC, USA Certified Coach Author, Health and Fitness
Brendan Dalley Executive
Koby Taylor, PharmD Executive Author
Diane K. Del Toro Director of Operations, Copy and Editor Scott Allen, Health
Brigit Atkin Author, Mind Body
Jessica Elgin Author, Economic and Financial Health Clinical Hypnotherapist Mind and Body
Anita DeLelles, LMT, LAMT Author, Pet Wellness
Lyman Author, Community and Culture
Rob Henderson, LASUDC, CTRS Author, Mind and Body
Marianne Hamilton Author, Community and Culture
Annelies CD Author, and Healthy Eating
L. Steven Wilson Author, Purposeful Living
Matt LMFT Author, and
Chris Eschler Author, Health and Well-Being
William Plumb, DDS Author, Oral Health
Branden DuCharme Author, Financial Health
L. Steven Wilson Author, Purposeful Living
Mark Wade Author, Outdoor Adventure
Gini Grimsley, Director of Fitness Product, VASA Fitness Author, Health and Fitness
Tiffany Gust, MS, NBC-HWC, USA Triathlon Certified Coach Author, Health and Fitness
Brendan Dalley Executive Editor
Koby Taylor, PharmD Executive Editor, Author
Diane K. Del Toro Director of Operations, Copy and Design Editor
Scott Allen, MD Author, Health and Wellness
Brigit Atkin Author, Mind and Body
Jessica Elgin Author, Economic and Financial Health
Erin Del Toro, ACHE Clinical Hypnotherapist Author, Mind and Body
Anita DeLelles, LMT, LAMT Author, Pet Wellness
Lyman Hafen Author, Community and Culture
Rob Henderson, LASUDC, CTRS Author, Mind and Body
Marianne Hamilton Author, Community and Culture
Annelies Newman, RDN, CD Author, Nutrition and Healthy Eating
L. Steven Wilson Author, Purposeful Living
Matt Eschler, PhD, LMFT Author, Relationships and Family
Chris Eschler Author, Health and Well-Being Life Coach
William Plumb, DDS Author, Oral Health
Branden DuCharme Author, Financial Health

MA YO R ’S MESSA GE

Business is booming here—but don’t just take it from us!

According to a report from the highly respected Milken Institute, St. George is ranked number two among the best performing small cities in the United States! The report cited the area’s high rate of job growth, 23.9 percent from 2018 to 2023, and the high tech GDP growth of 96.8 percent.

Another accolade comes from Wallethub, where St. George was named the second best small city for starting a business. According to the study, St. George ranked at the top of the country for both startups per capita and growth in the number of small businesses.

We are St. George in large part because of our local businesses, many of them anchored in our downtown. Small businesses are the lifeblood of a city’s economy, driving growth, fostering innovation, and creating a sense of community.

Beyond their economic impact, small businesses in St. George enhance the cultural fabric of the city. Local shops, restaurants, and services create distinct character and charm, drawing both residents and tourists. These businesses often support community events, sponsor local initiatives, and serve as gathering places, strengthening social connections.

Our strong labor market performance, beautiful natural surroundings, and access to outdoor recreation make St. George an irresistible place.

Mayor, City of St. George

With spring approaching, now is the perfect time to start thinking about college options for your child, grandchild, niece, nephew—or even yourself. Afterall, a Utah Tech University education is open to anyone and everyone. With a wide variety of on-campus and online offerings, Utah Tech has the perfect program for those looking to start college for the first time or upskill for new career opportunities.

Here at Utah Tech, we understand that for those new to applying for college, the process can feel confusing and overwhelming at first, so we are here to help. First things first: you may be questioning whether a college education is even necessary in today’s society and workforce. The short answer is a loud and resounding yes. The long answer includes facts, including that a UT graduate with a bachelor’s degree can expect to earn an average of $20,273 more annually than those with only a high school diploma. Nationally, college graduates earn $1.2 million more over their lifetime than students without college degrees.

Additionally, a college degree offers countless other lifetime benefits, such as improved quality of life, increased job opportunities, better physical and mental health, greater job satisfaction, and stronger personal relationships. UT’s hands-on education also provides students with essential life skills, such as critical thinking, collaboration, problem-solving abilities, and social responsibility that prepare them to be leaders in the workforce.

You may be wondering if you can afford college. 90 percent of UT students are offered scholarships, grants, or other financial aid, resulting in UT awarding $61 million in scholarships in 2024. This made it possible for 70 percent of UT students to graduate debt free. On top of all this, Utah Tech offers the lowest university tuition in the state, making college, in fact, affordable.

Now that we have all of that out of the way, let’s look at why Utah Tech is a great option. Utah Tech University’s polytechnic approach to education means that you will have hands-on learning experiences that prepare you to enter the workforce career-ready. Plus, being a polytechnic university also means that UT implements the latest technology in all of its 300 academic programs. As a comprehensive university, UT offers hands-on learning experiences across all disciplines—humanities, arts, education, health sciences, business, and STEM. Additionally, Utah Tech offers a second-to-none college experience with the most events offered on a Utah university campus each semester and eighty-five student clubs to choose from.

With so many benefits to earning a Utah Tech University education, why wait? Applying online is easy and free for all Utah residents at explore.utahtech.edu. We can’t wait to see you on campus. Welcome to Trailblazer Nation!

Wade’s Walkabout

SOUTHERN UTAH: AMERICA’S MOST SCENIC DESTINATION

Southern Utah, with its unique and dense compilation of scenic land formations, including rivers, mountains, pinnacles, plateaus, and byways, is very likely to have America’s greatest concentration of natural scenic wonders.

Where is the evidence?

I researched which American states have the most federally designated national parks, monuments, recreation areas, and scenic roads, calculated the square mileage for each state, and divided this space by the number of attractions. I also used the national parks service maps, at equal scale, to visually review the number of attractions per square mile. Using these two methods, the area that comprises southern Utah appears to come out ahead of any other region in the United States.

What are these attractions?

There are five scenic national parks all within a few hours of each other: Zion, Bryce, Capitol Reef, Canyonlands, and Arches. The Grand Staircase Escalante National Monument and Bears Ears National Monument are two of America’s largest national monuments, and there are other scenic national monuments sprinkled throughout this area. Don’t forget that Monument Valley Tribal Park. which includes the iconic scenery found in scores of movies, is also predominantly within the borders of Utah.

But what about an ocean?

Utah doesn’t have boundless ocean coastlines, but Lake Powell, found within the immense Glen Canyon National Recreation

All images courtesy of Mark Wade. © All rights reserved. 1/1/25.

Area, has approximately 2,000 miles of coastline, and that’s more than the entire west coast of the United States.

Scenic Roads: Southern Utah is filled with scenic byways and backways, the most famous of which is the All-American Road— Scenic Byway 12—rated by Car & Driver magazine as one of America’s top ten.

Scenic Rivers: The Green, Colorado, Dirty Devil, and San Juan rivers all flow through dramatically beautiful canyons and are some of the waterways that bring water to Lake Powell.

State Parks: There is so much scenery in southern Utah that there are seven scenic state parks in this region: Snow Canyon, Coral Pink Sand Dunes, Goosenecks, Dead Horse Point, Goblin Valley, Kodachrome Basin, and Escalante Petrified Forest.

Unofficially Designated Scenery: Beyond the national and state designations, this region of Utah is filled with national forest

Continued on Page 14

and Bureau of Land Management terrain and formations, such as Factory Butte, the Moonscape, Bentonite Hills (Mars), Little Egypt, the San Rafael Swell, and so much more. If found in many other states, these would be nationally designated scenic attractions. Who concurs?

In the 1990s, I performed work as a location scout for a German nature filmmaker who had filmed throughout the world, and he made this statement: “I’ve literally filmed every major scenic location in the world, and southern Utah is the best!”

About the Author Mark Wade is active in hiking, writing, photography, and videography. He works as a tourism marketing consultant, for which he has won numerous awards. He is a weekly guest on the KSL Outdoors radio show. Mark is the former Director of Tourism for southwestern Utah and has served on the board of directors for various tourism associations.

Want more evidence?

Continued from page 13 To be included in Utah’s organ/tissue/eye

There’s more to this story at UtahGuide.com/Best

History in the Painting

St. George Residents Invited to Create Mural for New City Hall Building

What will your legacy be?

Few of us will earn Nobel Prize or even People’s “Sexiest Man Alive” status, but St. George residents can still be a part of history in the making in the upcoming weeks. At “paint nights” being held at various venues around town, locals will have the chance to paint small tiles, capturing imagery of what they treasure most about life in our beautiful city.

Then, through some artistic alchemy performed by the company overseeing the project—Canada-based Mural Mosaic—the approximately 1,000 separate works of art will be combined into a single, unified, 12-foot by 24-foot mural that will be displayed

over the entrance to council chambers when the new City Hall building opens this fall. Magically, when seen from a short distance away, the tiles will morph into a predesigned visual of pedestrians and a cyclist enjoying a trek through Snow Canyon State Park.

Nearly eighteen months in the making, the mural project has seen multiple incarnations. Originally, the finished piece was slated for installation on an exterior corner of the new building. But after input from residents, the focus eventually shifted to an inside site.

“We hosted an open house to gather the public’s input on the proposed artwork,” said Community Arts Manager Peyton Lee. “We asked a number of questions about the new City Hall building: Should there be a mural on City Hall? If so, what type of artwork—such as graffiti, mosaic, or fresco—should it be? Should it be inside or outside? From these questions, we gathered feedback that showed people wanted a mural, and there were many ideas as to what it should be.”

From the responses, Lee and her team created a “word cloud” with the most consistent themes. The words history, local, artists, mosaic, and interactive ranked as the most popular descriptors. “After that,” Lee noted, “we realized that Mural Mosaic was the ideal option for us. In addition to their successes in executing these murals in many communities, including the city of South Jordan, Utah, their process is all-encompassing. It provides all

of the required materials and training, which has greatly simplified the process for our team.”

Strictly speaking, Mural Mosaic is a collaborative process invented by artist Lewis Lavoie, who takes individual paintings and places them in a specific order to create a large painting. Lavoie debuted his technique in 1997, transforming a retaining wall next to an art gallery in Alberta, Canada. Five years later, Lavoie invited other artists to participate in a twenty-four-hour “paint-a-thon” to raise money for a local charity. Following the success of that installation, Lavoie has enjoyed international acclaim, with commissions coming in for hundreds of murals across North America, sparking collaborations with thousands of artists and nonartists worldwide.

Here in St. George, those interested in contributing to the new City Hall mural are queuing up for events at the Social Hall, Dixie Academy, and other venues. There,

Continued on Page 18

St. George City Hall Mural Design
City of South Jordan Mural

they are given packets containing a 4.5inch by 4.5-inch porcelain tile, a small palette with eight acrylic paints, two paint brushes, and a sheet offering general parameters for the process. After watching a short video in which Lavoie describes the intent of the project and displays the proposed imagery, participants are free to release their inner Van Gogh.

There are only two caveats for painters. First, they must adhere to the 80/20 Rule. For example, if they have selected a mauve package, 80 percent of their painting

About the Author

should feature that hue; if they’ve chosen orange, blue, green, or any other color palette, the same holds true. Second, the finished painting should not include words, which tend to distract from the artwork.

Other than that, said Michelle Graves, Deputy Director of Arts and Events, City staff hope mural contributors will draw inspiration from four different themes.

“We’d love to see people depicting significant moments, landmarks, or people from our town’s past,” Graves explained. “Alternatively, they could focus on the beauty of St. George’s natural scenery or, of course, on our amazing, vibrant outdoor lifestyle. Or if they’d prefer, we would love to see paintings that showcase the spirit, diversity, and togetherness that define St. George: What do people love about living here? We feel like all these topics will provide some terrific inspiration for the paint nights.”

With a goal of finishing up the painting process by the end of June, all residents (both artistic and not-so-much) are welcome to sign up for an event. Once all of the tiles have been transformed, they will

be shipped to Lavoie and his team for final tweaks. Then the paintings will be affixed to a substrate that will ultimately make its way to the new City Hall for installation. Given the nature of many proceedings in council chambers, the project seems particularly apt, said Lee. “History is often made in that room, so it’s perfect that our residents are contributing to the mural,” she reflected. “We hope everyone who is interested in being a part of St. George history will come out, grab a paintbrush, and show us their brighter side!”

For more information about the City Hall mural and/or to sign up to paint a tile, visit sgcityutah.gov/cityhallmural

Marianne L. Hamilton is a veteran journalist and marketing writer whose work appears in regional and national publications. When not racewalking on our local trails, she serves on the board of the Kayenta Arts Foundation and supports the City of St. George as a grants writer for arts and recreation programs. She and her husband, Doug, are also co-administrators of the Southern Utah Wine Guild, founders and co-directors of the United State Power Walking Association, and race directors for the Huntsman World Senior Games. The former Ms. Senior Universe 2022-2023, Marianne is a proud breast cancer survivor and a member of the Intermountain Health Oncology Patient-Family Advisory Council.

Continued from page 17

TAKE A CLOSER LOOK AT YOUR HEALTH WITH SELF-GUIDED LAB KITS

Discover valuable insights to inform your decisions and take a proactive approach with your health. Our easy to use, and affordable self-guided lab kits include tests that look at your brain health, hormones, toxicity, gut health, nutrient processing, DNA testing, and more —all from the convenience of home. Plus, every kit comes with a consultation to review your results!

SCAN THIS CODE TO BE TAKEN DIRECTLY TO OUR SELF-GUIDED HEALTH LABS PAGE

www.FusionSpecialtyPharmacy.com

SANTA CLARA

1100 Canyon View Dr, Suite C

Santa Clara, UT 84765

Phone: (435) 703-9680

Fax: (855) 853-3465

Email: rx@rx-fusion.com

ST. GEORGE

617 E. Riverside Dr., Suite 104

St. George, UT 84790

Phone: (435) 656-2059

Fax: (435) 656-3059

Email: fp@rx-fusion.com

Collagen Holds the Key to Youthful Skin

Collagen type 1 is the structural foundation of youthful skin, but as we age, its loss can lead to wrinkles, sagging, and even volume loss. What if the secret to reversing the signs of aging isn’t in a miracle cream but in understanding how to manage the depletion of collagen.

In my practice, I frequently visit with both men and women who seek to improve their appearance and reverse the visible signs of aging. One of the primary factors contributing to these visible signs of aging in our face and skin is the loss of collagen.

Collagen is an essential protein that plays a large role in the structure and function of various tissues in the human body. It is the primary building block of your skin, bones, muscles, tendons, and ligaments. Collagen is responsible for maintaining the strength, elasticity, and integrity of these tissues.

As we age, the body’s ability to produce collagen decreases. This decline begins in our late twenties or early thirties and accelerates in our forties and beyond. By the age of fifty, it is estimated that collagen production drops by approximately 30 percent, and this reduction continues as we age.

Although collagen loss is a natural part of aging, there are several treatments that can help minimize the effects of collagen loss in the skin and face.

Microneedling is a minimally invasive treatment that involves using a device with fine needles to create micro injuries in the skin. These tiny punctures stimulate the body’s natural healing process, triggering the production of collagen and elastin in the skin. Microneedling can improve skin texture, reduce the appearance of scars, fine lines, and wrinkles, and even out skin tone. Microneedling results are not immediate, as collagen remodeling takes time. A series of three to four sessions spaced four to six weeks apart are recommended to achieve optimal results.

Co2 laser treatments are an effective method for stimulating collagen production in the skin. The CO2 laser emits thermal energy that penetrates the skin’s deeper layers. Co2 laser treatments typically require some downtime due to the intensity of

About the Author

the treatment, but are highly effective for treating skin concerns such as deep wrinkles, acne scars, and sun damage. Collagen production continues for up to six months after the treatment, which can lead to long-lasting skin improvements.

Injectable collagen stimulators, such as Sculptra, are used to gradually increase collagen production in areas of the face that have lost volume over time. These injectables also enhance the skin structure and firmness gradually. Multiple sessions are recommended for optimal results and can be spaced four to eight weeks apart. Natural looking results can be seen within a few months and can last up to two years or longer.

There are effective at-home options for stimulating collagen production. Medical-grade skin care products, such as retinol creams and growth factor serums, can help to stimulate collagen production at the cellular level. For skin health, type 1 collagen oral supplements are the best option. Collagen type 1 can be found in hydrolyzed collagen, marine collagen, or bovine collagen. Medical grade skin care and oral collagen supplements can be great compliments to professional treatments, helping to maintain and enhance results.

Collagen is essential for maintaining the skin’s strength, elasticity, and youthful appearance. As we age, collagen production naturally declines, leading to visible signs of aging. However, various treatments like microneedling, Co2 lasers, injectable collagen stimulators, oral collagen supplements, and medical grade skin care can effectively boost collagen production, leading to healthier, more youthful skin for years to come.

Call Riverside Medical Arts at 435-628-6466 for a complimentary consultation. To learn more about the services provided by Riverside Medical Arts, visit their website at riversidemedicalarts.com

Sara Poole began working for Riverside Medical Arts in their cosmetic surgical services in 2012 and is the Director of Nursing. Her surgical experience has allowed her to have an excellent understanding of the natural aging changes in the face and body. She is a highly skilled and compassionate nurse Injector. With a Bachelor of Science in Nursing (BSN) and extensive training in injectables, Sara specializes in providing nonsurgical cosmetic procedures that enhance natural beauty and restore youthful vitality. Sara is committed to delivering exceptional patient care in a comfortable and welcoming environment where every client is treated with respect and individual attention.

ADHD MUCH?

#FusionIsBetterMedicine

APPROACH TO OVERCOMING ADHD AND MENTAL FATIGUE.

Methylene Blue could be the over-the-counter or compound alternative to Adderall you’ve been searching for, offering a different approach to enhancing cognitive function and focus. Unlike stimulant medications, it works by improving mitochondrial function and supporting brain health.

Discover its potential to reduce brain fog and boost mental clarity—come in and find out for yourself!

1100 Canyon View Dr, Suite C Santa Clara, UT 84765

Phone: (435) 703-9680

Fax: (855) 853-3465

Email: rx@rx-fusion.com ST. GEORGE

617 E. Riverside Dr., Suite 104

St. George, UT 84790

Phone: (435) 656-2059

Fax: (435) 656-3059

Email: fp@rx-fusion.com

AFFORDABLE HOUSING OPTIONS FOR WASHINGTON COUNTY RESIDENTS

As we step into the new year, growth and progress are at the forefront of many minds, especially when it comes to life goals and increased financial stability. Real estate continues to be one of the best ways to build financial stability and improve your quality of life.

In today’s fluctuating real estate market, affordability and availability remain key concerns for many Washington County residents. While various housing and rental options might seem out of reach for

some individuals and families, Accessory Dwelling Units (ADUs) are emerging as an increasingly popular solution to providing more affordable housing options. These small, self-contained units, sometimes known as casitas, not only provide renters a cost-effective place to live, they also give homeowners the opportunity to generate supplemental income.

ADUs present a forward-thinking approach to addressing the problems of housing

shortages and high housing costs, fostering financial independence and creating a win-win situation for renters and property owners alike. The market for ADUs is expanding due to their potential to alleviate housing demand without requiring large-scale new construction. Many areas, including Washington County, are adapting regulations to support their growth.

For both renters and potential buyers that might be considering this option, due diligence up front is important. Even in an area that allows ADUs, zoning ordinances vary. Reach out to a local Washington County REALTOR® to become familiar with state and local area rules and regulations in order to prevent potential setbacks and navigate possible hurdles.

Spring into Fitness

As winter releases its grip and the desert bursts into bloom, St. George residents have a unique opportunity to transform their fitness routines. With its mild spring temperatures and stunning natural surroundings, the southern Utah landscape becomes nature’s perfect gym.

The combination of fresh air, natural light, and varied terrain creates an ideal environment for both physical and mental wellness. Fitness enthusiasts and newcomers alike can see improvements in mood, energy levels, and overall well-being by moving their workouts outdoors when spring arrives.

Southern Utah’s remarkable landscape offers a natural fitness playground that few other regions can rival. From the red rock trails of Pioneer Park to the challenging terrains of Snow Canyon State Park, there are many fantastic locations to build strength, endurance, and flexibility.

Starting your outdoor fitness journey doesn’t require elaborate plans or expensive equipment. Walking is one of the most accessible and effective forms of exercise available to everyone. You don’t even need to go on long walks. Short walks around your neighborhood can be a great way to start improving your health. Parking farther from store entrances and using the stairs instead of the elevator are other simple ways to reach your daily step goal. Small adjustments add up over time and contribute to better overall health and fitness.

About the Author

The St. George area offers a fantastic variety of walking, hiking, and running locations suitable for all fitness levels, and there are over fifty miles of paved trails in and around the city to enjoy. These trails, like the Virgin River Trail system, offer convenient access points, making it easy to take advantage of them for walking, biking, or running.

There are also many wonderful national, state, and local parks nearby to explore as spring unfolds. Trek through the ancient lava flows and sandstone cliffs of Snow Canyon State Park, where there are options for many different fitness levels. Or take a short drive to Zion National Park, where you will be rewarded with worldclass hiking and breathtaking vistas.

If you haven’t taken your family to Thunder Junction All Abilities Park, you should! This cute local park is dinosaur-themed and offers wheelchair-accessible playground equipment, a volcano, a splash pad, a climbing wall, and ample space to walk. You can even connect into the trail system from the park.

While spending time outside, remember to start early to avoid peak temperatures, layer clothing for changing temps, stay hydrated, and use appropriate sun protection.

If you made a New Year’s resolutions to become more fit, add walking outside to your daily routine. It is a fantastic way to get your health back on track. I look forward to seeing you on the trails!

Lori Wright is the CEO of Family Healthcare. With more than twenty-seven years of experience in community health, she is passionate about developing equity, where everyone can access high-quality integrated primary health care. Family Healthcare’s mission is Making Lives Better, and as CEO, Lori’s efforts are focused on improving the overall health of the patients and the communities Family Healthcare serves.

Lori serves on a variety of committees across the state and throughout Washington and Iron Counties. She is a member of the St. George Area Chamber Board of Governors, Zions Bank Southwestern Advisory Board, and Association of Community Health Centers Board. She also serves on the AUCH Health Center Control Network and is a member of Castell’s Clinically Integrated Committee. Lori has completed a BS in Community/Public Health and holds a Master of Public Administration from Brigham Young University, Marriott School of Management.

Your Accessible Primary Health Care

Your Accessible Primary Health Care

OPEN NOW in Springdale

Welcoming

Welcoming

Walk-In and same-day care

Integrated

Integrated

Welcoming new patients

Management

Women’s

Women’s

Treatment of illness, injury, and chronic conditions

Walk-In and urgent care

Walk-In

Integrated medical, behavioral, dental & vision care

Discount drive -thru pharmac y

Sliding scale fees based on income and family size

Discount

Discount drive-thru pharmacy*

Sliding scale fees

Sliding

Compassionate,

Compassionate, experienced providers

Compassionate,

Your

• Donate online at familyhc.org/give

• Scan the QR code

• Mail your donation to 276 E. Riverside Drive, St. George, UT 84770

UT 84770

Donations are

under section 501 (c)(3) of the IRS code. Tax ID #35-2163112

• Volunteer by calling 435-986-2565

• Volunteer by calling 435-986-2565

Miles to Go: The Path to a

Healthier Heart

Cardiorespiratory fitness (CRF) is a critical component of overall health, directly influencing longevity, health span, and sports performance. Understanding and improving CRF can significantly reduce the risk of various chronic diseases, improve life expectancy, and enhance quality of life. Central to this concept is VO2 max, a key indicator of cardiorespiratory health.

VO2 max, or maximal oxygen uptake, refers to the maximum amount of oxygen the body can utilize during intense exercise. It is often considered the gold standard for measuring cardiorespiratory fitness because it reflects the efficiency of the heart, lungs, and muscles in oxygen delivery and utilization. A higher VO2 max is associated with better endurance and overall cardiovascular health.

VO2 max has been linked to a lower risk of premature death from several causes, including cancer and cardiovascular disease. A pivotal 2018 study published in JAMA by Mandsager, Harb, and Cremer found that individuals with higher VO2 max

levels had a significantly lower risk of allcause mortality and cancer related deaths. This is partly due to the strong connection between cardiorespiratory fitness and reduced inflammation, improved vascular health, and better metabolic function.

Research also shows the importance of VO2 max in aging well. Experts have emphasized that improving VO2 max through regular aerobic exercise can extend health span (the period of life spent in good health) by reducing the risk of diseases such as diabetes, hypertension, and heart disease. Furthermore, increased VO2 max has been associated with a longer lifespan, as individuals with higher fitness levels are more resilient to agerelated declines in function.

Aging naturally leads to a decline in VO2 max, which contributes to diminished physical capacity and poor overall health. However, VO2 max can be improved at any age, delaying the negative effects of aging. A 2023 review in Cardiovascular Medicine determined that interventions to improve

cardiorespiratory fitness, such as structured exercise, are among the most effective strategies to slow aging and prevent frailty.

VO2 max is also associated with improved cognitive function and lower rates of dementia. By maintaining or increasing VO2 max through regular aerobic exercise, older adults can significantly improve their cognitive health and reduce their risk of neurodegenerative diseases.

The following are two methods that are effective for Vo2 max training:

1. Norwegian 4x4 Interval Training

A popular and highly effective training technique for improving VO2 max is the Norwegian 4x4 Protocol. This method consists of four intense four-minute intervals at 90 to 95 percent of your maximum heart rate, each followed by a three-minute recovery period. If you are just starting out, begin with twenty to thirty second intervals and build. Of course, prior to starting a new exercise routine, please consult with your physician.

2. Zone 2 Training

Another effective approach for improving VO2 max is Zone 2 training, which involves exercising at an intensity that corresponds to 60 to 70 percent of your maximum heart rate. This moderate-intensity exercise, performed consistently, has been shown to increase mitochondrial density, improve fat oxidation, and boost VO2 max over time. Using the Rate of Perceived Exertion scale can be helpful to ensure you are in Zone 2. If you can talk during exercise but it feels uncomfortable, you are in the correct zone.

For endurance athletes, such as triathletes, runners, and cyclists, VO2 max is a critical factor in determining performance. By improving VO2 max, athletes can enhance their aerobic capacity, allowing them to sustain higher intensities for longer periods without fatigue. Interval training, like the Norwegian 4x4 protocol, is particularly beneficial for endurance athletes seeking to boost their VO2 max.

Cyclists, for example, can use VO2 max data to tailor their training to increase power output at submaximal intensities. Similarly, triathletes can use VO2 max testing to identify weaknesses in their aerobic capacity and structure training to improve efficiency across multiple disciplines.

VO2 max can be accurately measured in a laboratory using equipment like the Cardio Coach system by Korr Medical Technologies. This device measures the amount of oxygen consumed during exercise, providing real-time data on VO2 max. Athletes and individuals can use these measurements to monitor progress and adjust their training protocols accordingly. This assessment is offered in the sports performance gym at Intermountain Healthcare.

Cardiorespiratory fitness, as measured by VO2 max, is a powerful predictor of

health, longevity, and sports performance. Research consistently shows that improving VO2 max can reduce the risk of death from cardiovascular diseases, cancer, and other chronic conditions while also improving overall quality of life and extending health span. Whether you’re an endurance athlete seeking to boost performance or an individual looking to improve overall health, incorporating VO2 max-focused training like Norwegian 4x4 intervals and Zone 2 training into your routine is a proven strategy to improve fitness and longevity.

If you would like to learn more about VO2 max testing or other methods to measure your cardiorespiratory fitness, contact Intermountain Sports Performance at 435-251-3733 or email tiffany.gust@imail.org.

Ride, Eat, Sleep, Repeat

Ride, eat, sleep, repeat. Sounds good to me! Imagine that this is how it could be—doing your favorite things every day, Groundhog Day-style. Of course, unlike the film, I’d like to have options for other things. I’m only human after all, and there would be days when I’d be too tired to ride, or maybe I would just want to do a jigsaw puzzle or something.

Then, there are the chores: the house isn’t going to vacuum itself and the fallen leaves aren’t just going to conveniently blow into the neighbor’s yard. And don’t even get me started on the demands of having to pay for all the stuff. A steady job has ruined many a good mountain biker. In a close-to-perfect world (I’m not asking for everything), I would be able to do the big three—ride, eat, sleep—at will.

however, are usually consumed as drinks, gels, or cubes. So it’s not really filling and certainly not the same as a big, beautiful burrito. I have done rides where I’ve literally burned a whole day’s worth of calories. Let’s just say, the hunger sauce produced a chef’s kiss for all the food that day.

That brings me to the third biggie: Sleep. All right then, you’ve had a luscious and tiring bike ride where the stairstep rocks came frequently, but you kept powering through, lifting your front wheel up and over each ledge and pedaling strong yet light to get the back end over as well. Then, you ate that delicious burrito smothered in green sauce and those hot carrots and cucumber slices on the side. Yum. Now comes the underrated part. We’ve all been sleeping from the day we were born, so we kinda take it for granted. But there is magic that happens when we sleep: our bodies rebuild the parts that we’ve worked so hard for our own enjoyment. And the kicker is that the rebuilt things tend to be stronger! Plus, how good is curling up with a comfy blanket on a cushy mattress with your head all mooshed into a pillow? Super good, right?

Ride. Well, this one has seen me wax poetic many times about its virtues and benefits to not only the body but the brain—how an ever-unwinding trail can transport you to a symbiosis of bike, human, and earth...Geez, there I go again!

Eat. There is something amazing about putting in big efforts and wearing yourself down a bit then sitting down for a good, yummy, nutritious (well, within reason), rejuvenating meal. When your body is craving nutrients, food really does taste better. As the saying goes, “Hunger is the best sauce!” Of course, during longer rides, you will want to eat some carbs and calories to keep the energy flowing and your legs spinning. Most of these,

This is where the dreamy bonus part comes in: Repeat. Getting to ride the next day and the day after that and eat heartily and sleep soundly any day I want would be an amazing thing. For now, it’s out of reach for me on any regular basis, but I try to make the first three parts happen as often as possible, even if there isn’t a repeat. Sometimes, though, I’m able to swing a multi day riding vacation where I can do the day-after-day rides, eat the delicious things, and sleep the deep sleep. The good life!

About the Author Mountain bike veteran, amateur filmmaker, and lover of long rides, Jay Bartlett has been riding trails in Southern Utah for over thirty years. Jay has over a decade of experience as a bike mechanic at St. George’s oldest bike shop, Bicycles Unlimited.

THE HEALTH BENEFITS OF RESORT LIVING: WHY RESORT RESIDENCES ARE THE ULTIMATE WELLNESS RETREAT

Resort residences are on the rise. You can purchase a townhome, condo, or single-family residence, stay in it when you want (usually with some limit on the number of days), and receive revenue when the hotel operates it as part of its room offerings to resort guests when you are not there. Ventana Resort and Residences in Kanab, Utah, is one of these resorts.

Ventana’s highly amenitized accommodations offer a unique opportunity for individuals to prioritize their health and well-being in a luxurious and relaxing environment. Whether you are able to take advantage of the resort’s facilities and services for a weekend or a few months, you will reap the benefits. From access to topnotch dining venues to a focus on outdoor activities, Ventana Residences are the ultimate wellness retreat for those looking to rejuvenate both their body and mind.

One key health benefit of resort living is the emphasis on physical activity. Ventana offers a state-of-the-art fitness center, 10,000-square-foot resort pool, climbing walls, trails, and outdoor sports facilities, allowing residents to stay active and maintain a healthy lifestyle. Whether it’s a morning swim in the pool or a sunset hike on nearby trails, resort living encourages individuals to incorporate exercise into their daily routines.

The Outdoor Outfitters provide a thrilling way to explore new adventures. Here, you can rent bikes, off-road vehicles, climbing equipment, and more. Learn from an experienced guide how to navigate slot canyons. Take a guided ATV tour or hike and explore the wonders that exist just beyond the resort. The options are endless.

In addition to physical activity, resort residences also prioritize mental well-being. The serene and peaceful surroundings of a resort provide the perfect setting for relaxation and stress relief. Residents can take advantage of spa services, meditation classes, and mindfulness workshops to unwind and recharge. The focus on mental health at resort residences helps individuals achieve a sense of balance and inner peace.

Furthermore, resort living promotes a healthy diet and nutrition. Ventana offers a variety of options, such as organic produce, convenient grab-and-go meals, and sit-down restaurants to reinforce the importance of eating well. By providing access to fresh

and nutritious food, Ventana Resort and Residences supports a healthy lifestyle and encourages residents to make mindful choices regarding their diet.

Another health benefit of resort living is the sense of community and social connection it fosters. Ventana residents have the opportunity to meet like-minded individuals, participate in group activities, and build meaningful relationships. The support and camaraderie found in resort communities can have a positive impact on mental health and overall well-being.

Resort residences are the ultimate wellness retreat for those seeking a holistic approach to health and happiness. By offering a combination of physical activity, mental relaxation, healthy eating, and social connection, resort living provides a comprehensive wellness experience that can transform lives not only for a moment but for many years to come, creating a lasting impact on daily habits and routines. So why wait? Embrace the health benefits of resort living and start your journey to a healthier, happier you today.

the Author Jessica Elgin entered the real estate market in 2000 as an investor. After having great success, she taught investors how to do the same. Shortly after, she got her Realtor license and quickly gained the elusive Double Grand Centurion Award with Century 21 for being the number five agent for her region in the Southwest United States. Jessica now focuses her portfolio on residential resort products and helping investors maximize their portfolios.

About

It’s Time to Get Out of the House and Into the Great Outdoors

Have you ever felt a rush when you step outside on a beautiful day? How does it make you feel when you walk into a lush green garden or grove of trees? Does the bright blue sky make you feel happy and free? Do you feel a sense of delight when you are at a lake or at the ocean?

The mental and physical health benefits of being outdoors are far-reaching, and the warmer weather of spring is now inviting us to step out of the house and get moving. Being outdoors is one of the most effective health and stress control mechanisms. Listening to the birds and breathing in fresh cut grass stimulates many pleasant emotions that release endorphins.

Grow a Garden: Be Healthier and Feel Happier

Studies show that those who grow gardens eat 15 to 20 percent more fiber, and fiber is critical for gut health. Vegetables are better tasting and healthier from your own garden because they are completely natural and are not genetically modified in any way. Growing your own food can save money and at the same time, help you to get in an extra sixty minutes or more of exercise per week. That may not sound like a lot, but every little bit helps.

Gardening uses many different muscle groups and can boost your fitness level. Moving, bending, digging, carrying, and

walking while gardening allows your body to utilize oxygen better and can reduce the risk of heart disease, cancers, and metabolic disorders.

If you can’t grow your own garden, look for a community garden. Community gardens can be mentally and emotionally beneficial because they allow people to meet others and gather socially.

Anytime you are outdoors, you have the advantage of absorbing natural vitamin D rather than taking supplements. Make sure you get out in the morning or evening to reap those benefits without risking skin damage.

Here is another benefit of gardening: recent studies indicate that certain dirts create healthy microbes and healthy microbes produce healthy plants that, in turn, produce healthy animals and humans. When plants and dirt decompose, they release heat that triggers a chemical reaction that actually improves immunity to bacteria just as a fever in humans is a means of protection and immunity. This heat neutralizes the disease process and is a natural part of the ecosystem. Additionally, when soil gets on your hands, it can cause your body to produce more serotonin, which is the pleasure neurochemical that makes you feel relaxed and happy. Gardening can be one of the best activities for health. It helps you to feel present in the moment. It helps your mind wander from the humdrum of daily life and lets your brain relax. Let your garden grow, create more oxygen, and get healthier!

For Better Health, Take Up Walking This Spring

Simple walking improves how well your body utilizes oxygen. Oxygen consumption is a big determinant of metabolism, and who doesn’t want to improve metabolism? Oxygen is crucial for the human body: it is essential in order for cells to produce

About the Author

Dr. Coleen Andruss practiced as an internist for ten years and has specialized in weight management for twenty-nine years. She and her staff have personally experienced weight management issues and have a compassionate understanding of patients in the Healthy Lifestyles program. Dr. Andruss’s internal medicine background helps her to see underlying medical problems when formulating individual plans that work.

energy by breaking down food and allowing all bodily functions to occur, including muscle movement; metabolism and calorie burning; thinking; all brain activity; digestion and gut health; and general maintenance of vital organ function. All organs in the body rely on oxygen to perform their tasks, so put on your walking shoes, hit the trails, and breathe the fresh, spring air deeply!

Oxygen comes from the process of photosynthesis, where plants and trees on land and algae from the ocean (phytoplankton) use sunlight to convert carbon dioxide and water into sugar, releasing oxygen as a byproduct. Oxygen is abundant as long as we take care of the environment from which it comes. Interestingly, most oxygen comes from the ocean, but our land environment is also critical. Taking care of our land by planting

more trees, gardens, and grassy areas is crucial for the oxygen supply.

Oxygen consumption and the efficient use of oxygen in your body are not optimum when you are in a city with tall buildings or when you spend most of your time indoors. Getting outside is important for your health. Walk, mow the lawn, trim the trees, go on a hike, or bicycle. Whatever you choose to do to be active, take advantage of the warmer temperatures of the beautiful southern Utah spring weather.

Whether it is walking in your neighborhood, tending your garden, going on a good long hike, or just working in your backyard, the great outdoors supports emotional and mental well-being, physical health, and medical health. Get outside, move, and breathe the oxygen your body needs to survive to live a healthy, long life.

Step Into the Season of Balance and Vitality

As the world awakens from its winter slumber, spring invites renewal, growth, and transformation. The longer days, warmer air, and vibrant blooms remind us that change is not only happening in nature but also within ourselves. This is the perfect time to shed the heaviness of the past and step into a season of balance, vitality, and self-care.

Just as you declutter your home in spring, four unique therapies— body detoxification, colon hydrotherapy, Spectra light bed therapy, and quantum BIOSCAN analysis—aid in “decluttering” your body by eliminating accumulated toxins, enhancing overall health, and resetting your mind, body, and spirit.

What is Body Detoxification?

Body detoxification, or detox, is the process of eliminating toxins from the body. Some detox programs, such as the Sanctuary Holistic Wellness Ten-Day Detox, are specifically designed to eliminate pathway parasites, heavy metals, and toxins at a cellular level through dietary changes, fasting, herbal supplements, or lifestyle adjustments. A transformative detox clears built-up waste and restores your body’s natural vitality.

A cleansing detox:

1. Supports Liver Function. Detox helps reduce the burden on the liver, allowing it to process toxins more efficiently.

2. Boosts Energy Levels. Removing excess toxins can improve metabolism and overall energy, reducing fatigue and sluggishness.

3. Aids Digestion and Gut Health. A detox can promote better digestion by eliminating processed foods, excess sugar, and inflammatory ingredients, allowing the gut to heal.

4. Strengthens the Immune System. Detoxing can support the body’s natural defense mechanisms, helping to reduce the likelihood of illness.

5. Promotes Weight Management. Detox resets eating habits, reduces cravings, and encourages weight management.

6. Improves Mental Clarity and Focus. Reducing toxins from the body, especially from processed foods and excess sugar, can lead to better brain function and improved concentration.

7. Reduces Inflammation. Detoxing can help reduce inflammation, which is linked to various chronic diseases.

8. Encourages Healthy Habits. A detox can serve as a reset, helping individuals develop long-term healthier habits..

Colon Hydrotherapy

Your body is constantly working to detoxify and renew itself. Colon hydrotherapy is a gentle yet effective way to support this natural process. Also known as colonic irrigation or colon cleansing, colon hydrotherapy is a procedure that involves flushing the colon with warm, filtered water that helps to soften and loosen fecal matter. Hydrotherapy can help you eliminate toxins, improve digestion, and boost your energy levels. It’s a refreshing reset for your system that leaves you feeling lighter and more vibrant.

Spectra Light Bed Therapy

Imagine lying in a bed that bathes you in soothing light and gentle sound frequencies designed to harmonize your body and mind and promote healing.

Spectra Light Therapy, also known as photobiomodulation (PBM) or low-level laser therapy (LLLT), involves the application of specific wavelengths of light—blue, green, red, and near-infrared—to the body’s tissues. These non-invasive, therapeutic light frequencies work together to stimulate cellular regeneration, boost circulation, decrease oxidative stress, and reduce inflammation.

Spectra Light Therapy offers a versatile approach to health and wellness, leveraging the power of light to support the body’s natural healing processes.

Quantum BIOSCAN

Have you ever wished you could understand what your body is trying to tell you? The quantum BIOSCAN, often referred to as a Quantum Resonance Magnetic Analyzer (QRMA), helps you gain valuable insights into your body’s energy and wellness by analyzing the electromagnetic waves emitted by your body’s cells.

This cutting-edge technology provides a comprehensive analysis of your body’s biofield, helping you identify imbalances and areas in need of support. This information can guide you toward a personalized path to better health.

Are you ready to prioritize your health and well-being? At Sanctuary Holistic Wellness, we believe in creating an environment where you can feel safe, supported, and inspired to embark on your wellness journey. Our new storefront is more than just a place for healing. It’s a Sanctuary where you can reconnect with yourself and discover your inner light. We invite you to experience the Sanctuary difference for yourself. Call or go online to book your session today: 435-599-0456 or thesanctuaryholisticwellness.com.

Beware of Disinformation Surrounding Thyroid Health

As one of the main glands that controls cellular function, the thyroid can take credit for assisting with a lot of the inner workings of the human body. However, it is also an easy, and often erroneous, place to cast blame when something feels a little off.

“There is so much disinformation about thyroid disease, it’s hard to know where to begin,” said Dr. Monica Moreno, endocrinologist for Intermountain Health.

While the three main thyroid-related issues—hypothyroidism, hyperthyroidism, and thyroid nodules—are very real and may need medical attention, Dr. Moreno said it is important for patients to consider that there may be other underlying causes contributing to things like fatigue and weight fluctuations.

“Our lives are stressful. A person’s diet may not be good. They’re busy, working long hours, all of which can lead to feelings of fatigue, weight gain, mood changes, hair loss, brittle nails, and dry skin,” Dr. Moreno said. “Because those can be symptoms of hypothyroidism, people often want to blame that rather than addressing the stress and lifestyle that could also be contributing factors.”

In order to determine if such issues are thyroid related, the symptoms have to be correlated with a lab test, generally available through a patient’s primary care physician. “If the tests are normal, it is not always what the patient wants to hear,” Dr. Moreno said. “People want an explanation for their fatigue that goes beyond stress or lifestyle. They often want something that can be treated with a pill.”

If the diagnosis is related to hypothyroidism, medication is often used to treat the problem. “Some patients can have transient hypothyroidism that comes and goes; others will need medication for life,” Dr. Moreno said.

Hypothyroidism, which is a deficiency in the thyroid’s production of the thyroid hormone, is more common than hyperthyroidism, which is an overproduction of the thyroid hormone. According to Dr. Moreno, a primary care provider can easily manage most hypothyroid cases. If the issue is hyperthyroidism, often an endocrinologist will get involved. “Hyperthyroidism is not a chronic condition like hypo,” Dr. Moreno said. “Generally, medication or an ablation surgery can help resolve the hyperthyroid problem.

“The most common cause of hypothyroidism is autoimmune,” Dr. Moreno continued. “The distinction to remember is that Hashimoto’s disease can cause hypothyroidism, but hypothyroidism does not cause Hashimoto’s. It only goes one way.”

As for thyroid nodules, Dr. Moreno said up to 50 percent of the population can have nodules without even knowing it, and 90 to 95 percent of nodules are noncancerous.

“We don’t have screening recommendations for nodules given that this is a very slow-growing cancer and the percentage of those having this type of cancer is so low,” Dr. Moreno said.

Thyroid nodules are often found incidentally when the patient is being examined for something else, and as a general rule, women are more impacted by thyroid issues than men. “There are two peaks for women

prediabetes stage, the same underlying process is still at work and can lead to inflammation in the blood vessels, putting the patient at greater risk for cardiovascular disease, stroke, high blood pressure, and more,” Dr. Jones said.

Although the news that blood glucose is in the prediabetic range may come as a surprise, it is important for the patient to consider the kinds of changes that can improve their health at this stage. This often starts with talking to their health care provider.

“It’s important for them to ask their providers what factors they can control in their personal lives to decrease their risk of diabetes,” Dr. Jones said. “In many cases, they may benefit from a nutritionist consultation, or they may be able to take advantage of benefits geared toward helping patients with prediabetes offered by their health insurance.”

Making changes to a patient’s diet and exercise routine can make a big difference in whether a prediabetes diagnosis eventually becomes full-scale diabetes. In Dr. Jones’s experience, the outcome is determined heavily by the motivation and willingness on the part of the patient. “If a person can lose five to ten percent of his or her body weight, it can make a clinically significant impact on a prediabetes diagnosis,” Dr. Jones said.

Other major risk factors besides being overweight include smoking and living a sedate lifestyle. “Even if you’re eating healthy, a sedentary lifestyle increases the risk,” Dr. Jones said. “Gestational diabetes also indicates higher risk.”

Another risk factor that may be more difficult to control is genetics. “Sometimes genetics do play a role in all of this,” Dr. Jones said. “However, even if diabetes is something that a patient cannot avoid despite their best efforts, they are still going to be in a much better position to deal with the diagnosis if they are doing things to promote overall better health. Life with poorly controlled diabetes is much different than life with well-controlled diabetes.”

when they may see a problem,” explained Dr. Moreno. “One is during the reproductive age (twenties and thirties) and the other is during menopausal age (forties or fifties). However, I see patients ages sixteen to eighty-five for hypothyroidism.”

Things like exercising at least thirty minutes each day and eating a diet filled with nutrient-dense foods while limiting carbohydrates will go a long way to better health. “I recommend patients make sustainable changes to their eating habits instead of latching on to the latest diet fad,” Dr. Jones said. “Similarly, they should find a form of exercise that is disguised as a hobby or an enjoyable activity that will help them elevate their heart rate for at least thirty minutes.”

Although prevention is always a good idea when it comes to health, there is not much to be done to prevent thyroid problems beyond a basic healthy diet.

For people who have done all they can do with diet and exercise, Dr. Jones encourages them to discuss further options with their health care provider.

“Sometimes things like thyroid nodules just happen. We don’t know why, but it doesn’t seem to be lifestyle related,” Dr. Moreno said. “Still, a healthy diet and lifestyle will help with everything, whether the root cause is thyroid or not.”

About the Author Lisa Larson is a freelance writer with a background in public relations and public speaking and a passion for sharing great stories. You might spot Lisa with her husband and three children enjoying the downtown carousel or exploring one of the area’s hiking trails. She also enjoys reading and baking, and she is looking to rekindle her romance with running. You can find Lisa on Twitter @ LisaGLarson or at www. facebook.com/larsonlisa.

About Author Lisa Larson is freelance writer a background in public relations public speaking passion sharing great stories. You might spot Lisa with her husband and three children enjoying the downtown carousel or exploring one the area’s hiking trails. She also enjoys reading baking, and she is looking to rekindle her romance with can find Lisa on Twitter @ LisaGLarson facebook.com/larsonlisa.

Friday: 9 a.m. - 7 p.m.

Comprehensive Care: Get exper t help for most health concerns close to home, avoiding unnecessar y ER visits

Convenient Access: Local providers make it ea sy to get care when you need it .

A Garden Full of Joyful Surprises

Early each year, I review my gardening notes from the past. I reread over the mistakes I made along with the successes. I also note suggestions I received from friends and neighbors to help me try new things. Since it is the season of planting, I thought I would share some of my notes with you.

Tomatoes

Last year I noted that I began planting tomatoes the first of April. I picked the varieties that were recommended at Sandia Nursery: Red Morning, Phoenix, Dixy Red, Celebrity, and my favorite, Sun Sugar cherry tomatoes. More than half survived the excessive heat. The plants that tapped out early were mainly too hot by the end of August because I planted them in more exposed areas. As for the production side, our family garden had a good amount of fruit ripening by the end of June. Later, the plants went dormant due to the excessive heat but remained alive and produced again in October and November. So, don’t give up on your tomatoes. If you can keep them watered, they are likely to jump back and start flowering again. We also covered the

ground with dry grass clippings to help keep the moisture in and prevent excessive evaporation.

By November, we had a lot of green tomatoes and the nights were getting colder. I was afraid we would lose all the unripened tomatoes, so I picked every single one right before the temperatures dropped below freezing. I placed them in the garage in single layers, and they have all ripened slowly. We ate tomatoes from our garden through the middle of January this year.

If you want to try something new and fun, Sun Sugar tomatoes are terrific. This variety is a sweet surprise in your mouth. As they ripen, they go from a dark green to yellow to orange. That is when you want to pick them to eat. You can serve them on a salad, on morning toast, or with a number of other things—if they can make it from the garden to the kitchen without being eaten! I like to call them “golden nuggets.”

Giant Sunflowers

While I try to plant things that will yield fruit that is useful to me, I have learned to feed the birds. They really enjoy Mammoth

Russian sunflower seeds. Last year, I planted six from seeds, and they towered over our other garden plants, providing much needed relief from the summer sun. Their stalks were solid, almost two to three inches in diameter, and they ranged from eight to twelve feet high.

Children love these giant, delightful flowers! Our children measured themselves against them, and when it was time to chop them down, work became play. They loved attacking the sunflowers with their little shovels to release the seeds. They sprinkled them over the ground, and the birds came, hopefully eating some garden bugs as well as the free seed supply.

Basil

I have planted basil in various spots in my yard: in a little planter pot or at the edge of a flower bed. They have done fairly well until the heat causes them to bolt. I usually plant them in the early spring and again in the fall, if I can time it right. I have a note to try Emerald Towers Basil. This variety does not produce flowers, so harvesting is better. I might have something new to share about basil next year!

Last spring, I had a lot of basil seeds. I thought, “I’ll throw these seeds in a long, empty garden row and harvest and dry some basil this year.” When the basil was tall and beginning to bolt, I summoned the

boys out to pluck off as many leaves as possible. They enjoyed smelling the plants around them and taking a bite to taste. We filled a large bowl full of little basil leaves. Then I took them inside to wash and spin them dry in a salad spinner.

In the past, I have placed basil leaves in the oven on a low temperature to dry, but this year, I used our stacked dehydrator. My children filled several round trays as full as they could with basil leaves without layering them too much. Then we left them drying in the dehydrator for several hours. When they were done, it was disheartening to see how a large bowl brimming with leaves could be reduced to practically nothing.

Determined to finish our project, we placed the remains in a bag and crushed them with our hands. Then I poured the crushed, dried basil leaves into a glass jar and labeled it. Surprisingly, that little jar has lasted for over six months. We’ve used it in Italian dishes, on top of tomato toast, and in many other favorite recipes. All the work was worth it after all. When it comes to dry herbs, a little goes a long way.

Memories

Planting food is fun and rewarding, but my favorite part of gardening is planting memories with my children. Letting them experience and appreciate the little

miracles of life is the greatest fruit for me. They help with the planting and watering. They love watching things begin to grow. They bring me surprises, like those little golden nuggets, with such happy faces. Gardens can be full of disappointments and joyful surprises, just the way life should be.

About the Author

Annelies Newman, RDN, CD, received her bachelor’s degree from Brigham Young University with a major in nutrition and dietetics and a minor in music. She is a speaker and presenter on nutrition related topics. Currently, she owns a private practice guiding individuals to make changes for better health and wellness. On the side, she enjoys adventuring with her husband and three little boys outdoors. She believes that real food is good for the body and should be enjoyed!

Active Living with Arthritis: Rheumatologist-Approved Tips for Joint Health

Living with arthritis doesn’t have to mean giving up the activities you love. At Vista Healthcare’s Joint and Arthritis Center in St. George, Utah, our rheumatologists specialize in helping patients stay active while managing arthritis. Whether it’s walking, gardening, or exploring the beautiful outdoors southern Utah offers, our team is here to support you every step of the way.

Dr. Michael A. Grant, MD, a boardcertified rheumatologist at Vista, explained, “Our goal is to help patients maintain their quality of life and stay as active as possible, even with arthritis. Through personalized care, we aim to reduce pain and improve mobility so that our patients can get back to the things they enjoy.”

Comprehensive Care for Joint Health in Southern Utah

From advanced diagnostics to cuttingedge treatments like biologic therapies and infusions, Vista Healthcare tailors every treatment plan to your needs. Our collaborative approach ensures you get the most comprehensive care, all conveniently located in St. George.

Michelle

Michelle Ballard, DNP, FNP-C, said, “At Vista Healthcare, we know that no two patients are the same. That’s why we take a personalized approach to treating arthritis, whether you’re dealing with osteoarthritis, rheumatoid arthritis, or another joint condition.”

Rheumatologist-Approved Tips for Staying Active

Managing arthritis often means finding the right balance between activity and rest. Here are a few tips from our experts to help you stay active while protecting your joints:

• Participate in low-impact activities. Walking, swimming, and cycling are great ways to stay active without putting too much strain on your joints.

• Stretch regularly. Simple stretches can improve your range of motion and reduce stiffness.

• Strengthen your muscles. Building muscle around your joints can improve stability and reduce pain. Start with light strength training and gradually increase intensity.

• Pace yourself. Listen to your body and take breaks when needed. Overexertion can lead to joint flare-ups.

• Use support when needed. Braces, orthotics, or ergonomic tools can make activities more comfortable and joint-friendly.

The Connection Between Diet and Joint Health

What you eat can have a big impact on joint inflammation and overall health.

“An anti-inflammatory diet can be a powerful tool for managing arthritis,” said Michon Higginson, DNP, FNP-C. “Incorporating foods like leafy greens, fatty fish, and whole grains not only helps reduce inflammation but also supports overall joint health.“

Staying hydrated and maintaining a healthy weight can further reduce stress on your joints, helping you stay active longer.

When to See a Rheumatologist

If joint pain or stiffness is keeping you from the activities you love, it might be time to consult a rheumatologist. At Vista Healthcare, we specialize in diagnosing and managing arthritis, with a focus on personalized, patient-centered care. “Early intervention can make a huge difference in managing arthritis and preventing further joint damage,” said Dr. Grant. “If you’re experiencing symptoms, don’t wait to seek care.”

Get Back to Doing What You Love

Living with arthritis doesn’t have to slow you down. With expert care and practical tips, you can maintain an active lifestyle and enjoy the things you love.

To learn more or to make an appointment, call or text 435-879-7610 or visit Vista Healthcare’s website at https://www.vista-hc.com/stgeorge-rheumatology

Sports Spine and Injury Center: 2891 East Mall Drive, Suite 200 | St. George, UT 84790 | 435-688-1665 | www.vista-hc.com/ St. George–Rheumatology Division: 1490 East Foremaster Drive, Suite 220 | St. George, Ut 84790 | 435-879-7610 Hurricane Location: 25 North 2000 West, Suite 8 | Hurricane, UT 84737 | 435-635-0174 Cedar City Location: 2311 N. Main Street | Cedar City, UT 84721 | 435-586-2229

Dr. Michael A. Grant
Michon Higginson, DNP, FNP-C
Ballard, DNP, FNP-C

Understanding Separation Anxiety in Dogs

Separation anxiety is a common behavioral issue in dogs that can be distressing for both pets and their owners. Dogs are naturally social animals that form strong bonds with their human companions. When left alone, some dogs experience extreme anxiety, leading to problematic behaviors. Understanding the causes for this conduct, recognizing signs of distress, and applying appropriate solutions can help alleviate separation anxiety and improve your dog’s overall well-being.

There are several potential causes of separation anxiety, so it is important to identify the underlying triggers for your dog.

Changes in Routine

Dogs thrive on routine, and any disruption to their daily schedule can create anxiety. A sudden shift in work hours, a change to school schedules, or a move to a new home can increase stress levels.

Past Trauma or Neglect

Dogs that have been adopted from shelters or have experienced abandonment are at a higher risk of developing separation anxiety. Their fear of being left alone may stem from previous negative experiences.

Lack of Early Socialization

Puppies that are not exposed to short periods of isolation during critical developmental stages may struggle to adapt to being alone later in life.

Genetic Predisposition

Some dog breeds, especially those bred for companionship or herding, may be more prone to separation anxiety. Breeds such as labrador retrievers, border collies, and chihuahuas are known to form particularly strong attachments to their owners.

Dogs suffering from separation anxiety exhibit various behaviors that signal distress when they are left alone. While occasional

restlessness is normal, consistent or extreme behaviors may indicate a deeper issue including:

Excessive Barking or Howling

Persistent vocalization, especially shortly after the owner leaves, is a common symptom. This behavior is driven by the dog’s panic and desire to reunite with their owner.

Destructive Behavior

Dogs with separation anxiety may chew on furniture, dig at doors, or destroy household items. This destructive behavior is often an attempt to escape or cope with stress.

Pacing or Restlessness

Repeated pacing in a fixed pattern, such as back and forth by a window or door, is another sign of anxiety. Dogs may display other restless behaviors, like circling or fidgeting. These may also be warning signs of a deeper neurological issue.

House Soiling

Even house-trained dogs may urinate or defecate indoors when anxious. This behavior is not due to a lack of training but rather an inability to control bodily functions under stress.

Self-Injury

In severe cases, dogs may harm themselves by licking excessively, chewing their paws, biting their tails, or attempting to escape through windows or doors.

Addressing separation anxiety in dogs requires a combination of training, behavior modification, and in some cases, medical intervention. Here are some practical strategies:

Gradual Desensitization

The goal of desensitization is to gradually accustom your dog to being alone. Start by leaving your dog for short periods, then gradually increase the time you leave your dog alone. Pair departures with

and extra unexplained shake response periods of pets indoors pillows some the from recommend effective the summer slice harmful be which pet-safe keep that repeating. direct

sun can skyrocket in a matter of minutes, putting pets at risk of heatstroke and dehydration. If you’re running errands or heading to the store, it is best to leave your pets at home where they’ll be safe and comfortable.

positive reinforcement, such as treats or toys, to create a positive association with being alone. When leaving or entering, make the least amount of fuss. Toss some treats away from the door and leave. Upon return, enter, and ignore your dog until they have calmed down, then quietly pet and acknowledge them.

Interactive Toys, Enrichment, and Exercise

So there you have it. Follow these tips, and with some TLC, you will be ready to soak up the sun and make long-lasting memories with your furry companion by your side. Cheers to a paw-some summer!

Providing engaging toys, such as puzzle feeders or chew toys, can distract your dog and keep their mind occupied while you’re away. This helps reduce boredom and anxiety. A tired dog is generally less anxious. Ensure your dog gets plenty of physical exercise and mental stimulation before you leave. A brisk walk or play session can help expend excess energy and promote relaxation.

Counterconditioning

This training method involves changing your dog’s emotional response to being alone. By associating your departure with something positive, such as a special treat they only get when you leave, you can help reduce their anxiety.

Calming Products

There are various calming aids available, including pheromone

About the Author

diffusers, anxiety wraps, CBD, and herbal supplements. While these won’t cure separation anxiety, they may help reduce stress levels. If anxiety is extreme, a veterinarian may recommend anti anxiety medication to help your dog manage stress. Use this as a last resort, as some medications can have side effects.

Separation anxiety is a complex issue that requires patience, understanding, and consistent effort from dog owners. Recognizing the signs early and applying appropriate solutions can prevent the problem from becoming worse and improve both you and your dog’s quality of life. It may take some trial and error to find a solution, so be patient. Talk to a professional at WOOF! Wellness Center for more information on helping your dog overcome separation anxiety.

find them downright terrifying. With the coming Fourth of July and Pioneer Day (July 24) festivities ahead, it’s crucial to take extra precautions to keep furry friends safe and calm. The unexplained loud noises, bright flashes of light, and rumbling vibrations shake some dogs to the core with fear. Anxiety is an elevated response of the nervous system, which is exhausting over long periods of time. Close curtains and create a cozy hideaway in which pets can take cover during fireworks displays. A quiet room indoors or a familiar crate draped with blankets and padded with pillows for extra soundproofing provides a safe environment. Play some music, the TV, or a fan for white noise. It will help drown out the booms and bangs and calm their nerves. Many dogs benefit from calming supplements, CBD, and natural herbs. We recommend a trusted brand, Healthy Paws No More Drama, a highly effective supplement to reduce anxiety.

Visit woofcenter.com, stop by WOOF! Wellness Center & Training Academy in Santa Clara, Utah, or call 435-275-4536. Email your pet-related questions or topics of interest to anita@woofcenter.com.

July afternoons are perfect for a backyard barbecue. Firing up the grill with hotdogs and burgers is a uniquely American summer tradition enjoyed with family and friends. But before you slice into the watermelon, remember that some foods can be harmful to dogs and cats. Keep the grilling meats out of reach, and be mindful of foods like onions, garlic, grapes, and chocolate, which can all be toxic to pets. Instead, treat them to some pet-safe snacks like Real Meat treats or homemade pup-sicles to keep them cool and satisfied.

Anita DeLelles, LMT, is a certified equine and small animal acupressure practitioner with accreditation from the Tallgrass Animal Acupressure Institute and a member of IAAMB. Her Tallgrass training has included two consecutive summers in Bath, England, near where she lived as a child, as well as coursework in Colorado and northern California. Additionally, Anita is certified in animal massage from the Northwest School of Animal Massage as well as human massage in the state of Utah and is a graduate of UNLV. In 2013, Anita and her husband, Ron, opened WOOF! Wellness Center & Training Academy to serve pets and their health-conscious pet parents. WOOF! is dedicated to improving the quality of life for companion and competitive animals through fitness and conditioning, education, and proper nutrition. Anita shares her life with Ron and their overly-pampered cats in Santa Clara, Utah.

So you memories paw-some

Join WOOF! Wellness Center & Training Academy for trainer-guided hikes. We request that dogs have completed a basic manners class or loose leash walking class to participate in the hike. Our trainer can set up a free assessment if you are not sure about your dog’s ability to join the hikes. Call 435275-4536 or visit www.woofcenter.com.

Last but not least, let’s address car safety. We all know that leaving a pet in a hot car is a big no-no, but it’s worth repeating. Even on mild days, the temperature inside a parked car in direct sun heatstroke to the be safe

For more information on health and wellness for your pet, visit woofcenter.com, stop by WOOF! Wellness Center & Training Academy in Santa Clara, Utah, or call 435-275-4536. Join for completed walking can about 275-4536

For woofcenter.com, Academy

Leaving Your Mark

From the house where I grew up, it was a mile or so south to the confluence of the Virgin and Santa Clara Rivers. In the late 1950s, when I first awoke to my existence and began to perceive the world through the chaotic shapes of the surrounding landscape, ours was among the last houses on the south edge of St. George. Broad fields of alfalfa, milo-maize, sugarcane, and dew-glazed pastures dotted with grazing dairy cattle covered the space between our house on 600 South and the river bottoms. I could ride my bike down what is now 700 South to what is now River Road and pedal effortlessly downhill to the old iron trestle bridge that spanned the Virgin and marked the border of my known universe. The Virgin’s confluence with the Santa Clara River was further downstream and less accessible. I only remember going there once as a boy in the truck with my dad.

I recall standing there with my father’s hand on my shoulder and him telling me that this was why our town was there. There would not be a town, could not be a town, if it weren’t for the water that so fortunately flowed through our little valley. And it was there, where these two streams met, that it all began.

The day my dad and I stood at the confluence you could hear nothing but the soft sigh of the merging waters, the chirping of the birds, and the easy rustle of the breeze through the tamarisk. Today, the place where the two streams meet is bordered by a sprawling convention center parking lot and the elevated ramps of an I-15 interchange where hundreds of automobiles zoom by every hour. Hardly any of the occupants of those cars possess an inkling of the significance of the place they are passing. They’re too busy rushing from here to there to realize that this is where the waters spilling off the southern lip of the Great Basin and the waters originating far to the northeast in the high mountains of the Markagunt Plateau join in serene convergence before cutting through a Shinarump anticline and rolling away toward the sea.

There are rocks near this confluence upon which one-thousandyear-old etchings are still visible. They are cryptic messages left

by the Ancestral Puebloan and Southern Paiute people, who lived beside the two streams a millennium before my greatgreat-grandparents arrived here. As a boy, I roamed the nearby Chinle slopes and picked up random shards of their beautifully curved, corrugated, and painted pottery.

Just downstream, where the Virgin River breaks through the Shinarump ridge and flows out from under the freeway bridge north of Bloomington, is another message on a rock high above the stream. This one was etched by a nineteen-year-old boy whose family had settled in the late 1850s near the place where the two streams meet. Who knows how many hours he chipped away at his legacy high on the cliff above the farm where, daylight to dawn, he spent six back-breaking days a week working in the cotton fields. He carved a large profile, presumably of himself: an image of a plant with leaves and flowers and a line of simple words that are potentially visible from the more than twelve million vehicles that zoom across that bridge every year—but certainly not legible at eighty miles per hour:

“I was set her[e] to rais[e] cotton March 1858 JACOB PEART.”

The Peart family and a handful of others living in the area were members of the Church of Jesus Christ of Latter-day Saints. They had come to this hot, desolate, and out-of-the-way place at the behest of their spiritual leader, Brigham Young. Their mission was to experiment with the idea of growing cotton. They began to call their new home Utah’s Dixie, though the place where the two streams met had long been called Tonaquint by the Southern Paiute, who had lived there for centuries. Those first Latter-day Saint settlers at Tonaquint began the displacement of an indigenous way of life that had found a natural rhythm with the landscape over scores of generations. Few of those original farmers stayed, but they blazed the way for a full company of settlers who heeded Brigham Young’s call late in 1861, leaving their verdant farms behind in northern Utah and trekking to the desert of Utah’s Dixie to make a town.

I am haunted by the thought of that boy perched on that cliff above the Virgin River, etching his story in stone. Of Jacob’s message, author and historian Juanita Brooks wrote, “The carvings were evidently not done in one sitting or in two, but must have been the occupation of a lonely nineteen-year-old boy through several Sunday afternoons.”

Jacob Peart must have felt a compelling desire to make his mark and leave something to be remembered by. In our age of fleeting digital messages that come and go at the speed of light—in front of our eyes one moment and dissolved in the ether the next—it is heartening and somehow comforting that the message Jacob etched in stone more than 160 years ago can still be witnessed on that cliff above Bloomington, can still be pondered and considered for what it means: a reminder of a time when it took days to create a simple piece of content and a time when that content said something worth remembering a century and a half later.

We live in a time when it can seem important to post a photo of our gourmet meal on social media. Jacob Peart lived in a time when all he wished to share was the fact that he was there. And all the time he was chipping away at his message on the cliff, he was praying that there would be something to eat on the table when he returned home.

Note:

The logo for Lyman Hafen’s NOT FORGOTTEN podcast incorporates a facsimile of Jacob Peart’s cotton plant etched on the cliff above Bloomington. “It is a fitting symbol,” Hafen said, “of the epic stories of this community, stories that, just like Jacob Peart, cannot and should not be forgotten.”

About the Author

Lyman is the author of a dozen books intent on connecting landscape and story in the American Southwest. He was founding director of the Zion National Park Forever Project and president of the national Public Lands Alliance. He was founding editor of St. George Magazine in 1983, has been recognized with several literary awards from the Utah Arts Council, and won the Wrangler Award from the National Cowboy and Western Heritage Museum. He currently hosts the podcast NOT FORGOTTEN: STORIES OF UTAH’S DIXIE, found on Apple Podcasts and Spotify. His books are available at LymanHafen.com. He lives in Santa Clara, Utah, with his wife Debbie. They have six children and eighteen grandchildren.

Springtime and Renewal: A Traditional Chinese Medical Perspective

Spring is the season of renewal—a time when nature awakens and everything begins to grow and flourish. In Traditional Chinese Medicine (TCM), spring is associated with the Wood element and the Liver, making it a season of movement, growth, and transformation. It’s a time to shake off the stagnation of winter and embrace fresh opportunities for physical and emotional well-being.

Here’s how TCM views the spring season and how you can align yourself with its energy.

The Wood Element and the Liver

In TCM, each season corresponds to one of the Five Elements. Spring is connected to the Wood element, which symbolizes growth, flexibility, and creativity—just like the trees and plants bursting to life around us. The Liver, which is the organ associated with the Wood element, plays a central role during this season. The Liver is considered the body’s master of flow. It governs the smooth movement of qi (your life energy), emotions, and blood

throughout the body. When the Liver is balanced, we feel calm, energized, and motivated. But if the Liver’s energy stagnates, we may experience irritability, frustration, or even physical symptoms like headaches, digestive issues, or muscle tension.

Spring is the ideal time to nurture the Liver, support its natural flow, and embrace the season’s expansive energy.

Spring Cleaning—Inside and Out

Just as we clean our homes in spring, it’s a great time to clear out stagnant energy in our bodies and minds. The Liver thrives on movement and detoxification, so consider incorporating habits that support these processes:

• Lighten Your Diet: Spring calls for fresh, vibrant foods. Green, leafy vegetables, sprouts, and herbs like dandelion and mint can help cleanse the Liver and keep qi moving freely.

• Stay Hydrated: Warm lemon water in the morning is a simple way to kickstart digestion and support detoxification.

• Move Your Body: Stretching, yoga, or qigong are excellent ways to release tension and encourage the smooth flow of qi.

Embrace Emotional Growth

Spring isn’t just about physical growth—it’s also a season to address emotional stagnation. The Liver is deeply connected to emotions, especially anger and frustration. This doesn’t mean you need to suppress these feelings but rather work to process and release them. Journaling, meditating, or spending time in nature are wonderful ways to let go of emotional tension and make space for new ideas and possibilities.

Stay Balanced During Seasonal Changes

While spring is a time of growth, it’s also a time of transition, which can leave some people feeling off-kilter. Allergies, fatigue, and mood swings are common this time of year, but there are simple ways to maintain balance:

• Wear Layers: The weather can be unpredictable in spring, so protect yourself from the wind and sudden temperature changes, which can strain the immune system.

• Acupuncture Tune-Up: A seasonal acupuncture session can help regulate your Liver qi and keep your energy flowing smoothly as you adjust to spring.

Final Thoughts

Spring is a time of possibility—a season to grow, expand, and realign with nature’s rhythm. By supporting your Liver, embracing movement, and letting go of what no longer serves you, you can step into this season feeling lighter, clearer, and more connected. Just as the trees reach toward the sky, you too can grow into the best version of yourself this spring.

To book an appointment or consultation with Dr. Grace, visit her website at www.wildflowerremedy.com, call 408-892-6440, or email drgracewathen@gmail.com.

About the Author

Dr. Grace Wathen holds a doctoral degree in acupuncture and Chinese medicine and a Master’s of Science degree in Traditional Chinese medicine. She is also the owner of Grace Living Property Management. Dr. Grace is a native of Utah and the proud mother of two King Charles cavaliers, four horses, and one kitty cat.

Unlocking the Secrets to Metabolic Health

Spring is here, and if you live in southern Utah, you know that summer weather is right around the corner. There is no better time to rev up your metabolism and take charge of your health. With longer days, warmer weather, and a natural boost in energy levels, this season offers the perfect backdrop for making changes that can transform your lifestyle. By unlocking the secrets of your unique metabolic needs, you can make smarter choices to feel your best all season long.

Let’s dive into how understanding your body’s energy requirements can help you reach your goals—and why it’s worth finding the right partner to guide you.

1. Caloric Clarity: Know Your Daily Energy Requirements

Spring and summer activities like swimming, hiking, and outdoor sports often increase our energy needs. But how many calories do you actually need? Relying on general guidelines can lead to over- or under-fueling. Understanding your specific caloric requirements ensures that you’re eating just the right amount to power your adventures while avoiding sluggishness or weight gain.

2. RER Revealed: Understand Your Body’s Fuel Source

Did you know that outdoor temperatures can influence how your body burns fuel? Your respiratory exchange ratio (RER) can show whether you’re burning more fats, carbs, or a mix of both. This insight is invaluable for tweaking your diet to match your activities. For instance, if your body prefers carbs, you can focus on nutrientdense sources like whole grains and fruits. If fat is your primary fuel, avocado and nuts can become your go-to snacks.

3. Health in Numbers: Avoid Overeating or Undereating

With spring and summer barbecues and ice cream tempting us at every turn, it’s easy to lose track of how much we’re eating. On the flip side, some people undereat during hot weather, leading to low energy levels. By pinpointing your precise caloric needs, you can stay balanced, enjoying seasonal treats without overindulging or underperforming.

4. Nutritional Power: Fine-Tune Your Diet or Optimal Energy

Understanding your Resting Metabolic Rate (RMR) and RER gives you the power to create a diet that works with your body, not against it. Imagine being able to confidently plan meals that keep you energized for lake days, morning jogs, or late-night bonfires. Knowing how your body uses energy means you can optimize every bite.

About the Author

5. Insightful Health Tracking: Monitor and Adapt Over Time

Spring is a great time to start tracking your metabolic health. Over the weeks and months, you’ll notice how your metabolism responds to changes in diet, activity, and even the heat. This real-time data lets you adjust your habits as needed, ensuring long-term success. Plus, seeing measurable progress is a great motivator!

How to Find a Trusted Provider

Boosting your metabolism and optimizing your health doesn’t have to be complicated. The right healthcare provider can guide you every step of the way. Here’s what to look for:

• Credentials and Experience: Seek professionals who specialize in metabolic health and offer advanced tools for RMR and RER testing.

• A Holistic Approach: Choose providers who offer personalized plans tailored to your lifestyle and goals.

• Positive Feedback: Read reviews or ask for recommendations to find someone you can trust.

Why This Matters

Your metabolism is as unique as your fingerprint. Now is the perfect time to tap into its potential. By understanding your caloric needs, fuel preferences, and how to track changes over time, you can make smarter choices that lead to a healthier, more vibrant you. It’s not just about dieting or exercising—it’s about working with your body to achieve lasting wellness.

Ready to take the next step? DexaFit is here to help. With cuttingedge tools and a team of experts, we make it easy to discover your ideal metabolism for healthy living.

DexaFit

1841 E Riverside Dr, Suite 202, St. George, UT 84790

Email: utah@dexafit.com

Call: (435)-922-0919

Melinda Goodwin, APRN, MBA, FNP-C, has dedicated over twenty-six years to the medical industry, blending innovation and compassion in her approach to healthcare. In 2023, she founded Finish First Medical with a bold vision to push the boundaries of functional medicine and explore groundbreaking advancements in mental health, including ketamine therapy, cellular factors, exosomes, and organic hormone replacement therapy (HRT). Melinda is committed to fostering vitality and wellness for her patients. She is married and the proud mother of four children, all raised in the vibrant community of St. George, Utah. With its breathtaking landscapes and abundant opportunities for lifelong activity, St. George exemplifies generations of healthy living—a lifestyle Melinda passionately promotes through her work and personal life guided by her motto, “It is not about living a long life, it is about living a healthy life as long as you can!” Finish First Medical | (435) 500-6734 | www.finishfirstmedical.com |

Changing Lives One Ride at a Time: Utah Tech University’s Go Baby Go Initiative

For six years, Utah Tech University’s Physical Therapy Assistant program and the University of Utah’s Physical Therapy program have teamed up to change lives through Go Baby Go. An initiative that provides customized electric cars to children with mobility disabilities, Go Baby Go at Utah Tech was made possible this year through the Wade Family Foundation and its generous donation of $4,000. Stephen Wade Auto Center hosted the event, fittingly displaying the customized children’s cars next to their real-life, full-size counterparts.

“Supporting the Go Baby Go initiative has been an incredibly rewarding experience for our organization,” said Herb Anderson, marketing director at Stephen Wade Auto Center. “It goes beyond just providing cars; it’s about empowering children with disabilities to explore and have fun. When we learned that $4,000 was needed to support this cause, we eagerly seized the opportunity to contribute and make a meaningful difference for these families.”

Students met with eight children from St. George and Cedar City earlier in the academic year to assess what the children’s interests and needs were. The children’s physical therapists also supplied the students with the children’s mobility goals, which were then implemented in the car’s design and function.

“Go Baby Go is a way that we, as a program, can give back to the community,” Burke Jorgensen, an instructor at Utah Tech,

said. “As we modify these cars, we are providing a way for these children to choose to move instead of passively being carried or pushed every day. That independence makes all the difference in that child’s development, and it changes the family’s life.”

The cars included features like a bar to help the children stand, harnesses and padding, go buttons instead of pedals, and a remote control for the parents to help facilitate some movement. The cars were also cosmetically modified and catered to the children’s interests, with designs ranging from a lime-green Baby Yoda-themed Mercedes to a white Toyota plastered with mermaid graphics.

Maddox was one of the children given the gift of mobility thanks to Go Baby Go. He has a rare condition called arthrogryposis, which causes joint stiffness and immobility.

“This will help Maddox to be more active, especially outside,” Greg Turnbeaugh, Maddox’s grandpa, said. “We love playing outside as a family, so this will be great coupled with the physical therapy aspects of the car.”

Accredited by the Commission on Accreditation in Physical Therapy Education, Utah Tech’s Physical Therapist Assistant program is focused on preparing students and building excellence in human interaction, technical skills, critical reasoning, and life-long, hands-on learning, like Go Baby Go. Learn more about the program and Go Baby Go at health.utahtech. edu/physical-therapist-assistant

to pursue a bachelor’s degree in communication studies and work toward a career in public relations. He enjoys the southern Utah climate and all the outdoor adventures this area has to offer.

About the Author Jake Harber is a full-time student at Utah Tech University. A small-town Wyoming native, he moved to St. George

DonorConnect Honors Donor Heroes

The Heroes in Disguise 5k Will Recognize Emilee and All Who Give the Gift of Life

Emilee France Barker, daughter of Gary and Christine France, radiated passion and kindness throughout her life. From the moment she began dancing at age eight, her talent and dedication shone brightly. She competed in dance throughout her youth and attended Tuacahn High School, where she thrived as a dancer and discovered her love for choreography.

Emilee pursued dual college degrees at UNLV in Dance and Stage Management. She was just weeks away from graduating when her life was tragically cut short in a car accident in February 2024, shortly before her twenty-fourth birthday.

A faithful member of the Church of Jesus Christ of Latter-day Saints, Emilee served a mission in Ohio, dedicating herself to uplifting others. She also served the Utah and Nevada communities by contributing many hours to humanitarian and youth programs.

Emilee expressed her creativity through video and music editing and was pursuing a budding modeling career. She was a loving and joyful inspiration to her sister Raye and her two brothers, Joshua and Samuel, who both have Duchenne Muscular Dystrophy.

In May 2023, Emilee married her soulmate, Chris Barker, in the Las Vegas LDS Temple. Together, they embraced life’s adventures. Their shared joy for life and love for each other brought them countless cherished moments.

While her passing was untimely, Emilee’s legacy endures. As a registered organ donor, she gave the ultimate gift of life, donating her lungs, kidneys, liver, heart, skin, bone, corneas, and other tissue, saving lives and improving countless others. Her selflessness and true heroism continue to inspire all who learn of her story. Generations of people will bless her name for saving their mother, grandfather, great-grandmother, and others.

Organ donation and transplantation are facilitated by DonorConnect in Utah. The promise of DonorConnect is expressed in their mission statement: “In our constant pursuit of excellence, we give hope and heal lives through organ, tissue, and eye donation.”

To honor donors like Emilee, DonorConnect will host the Heroes in Disguise 5K Fun Run on April 12th, 2025, at Crosby Confluence Park in St. George. The event promotes organ donation awareness, raises funds to educate high school students about the miracle of organ donation, and celebrates the medical professionals and families who make these miracles possible. Intermountain Health is a major sponsor, alongside other local businesses and the families of organ recipients. After the 5K, participants can enjoy a short program and prize giveaways. Please use the QR code provided for registration information.

Emilee’s light continues to shine in the hearts of those who knew her. While she may no longer dance on earth, her kindness and love allow others to live fully and embrace life’s possibilities. Through her extraordinary acts of love and service, Emilee France Barker’s legacy will inspire generations to come.

To be included in Utah’s organ/tissue/eye donation registry, please sign up at YesUtah.org.

Date: Saturday, April 12th

Registration time: 8:00 a.m.

Start time: 9:00 a.m.

After race program: 10:30 a.m. Location: Crosby Family

Heroes in Disguise 5K Fun Run

The Importance of Cardiac Clearance Before Surgery

Surgery, whether major or minor, places significant stress on the body. For individuals with underlying heart conditions or risk factors, this stress can lead to serious complications. That is why obtaining a cardiac clearance before surgery is a critical step to ensure patient safety and optimize surgical outcomes. Let’s explore the top three reasons why cardiac clearance is essential and how to find the right healthcare partner to evaluate your heart health.

Top 3 Reasons for Cardiac Clearance Before Surgery

1. Identifying Hidden Heart Risks

Many people may have underlying cardiovascular issues that haven’t been diagnosed. Conditions like coronary artery disease, arrhythmias, or high blood pressure can increase the risk of complications during surgery. A cardiac clearance involves a thorough evaluation by a cardiologist, which may include diagnostic tests such as electrocardiograms (EKG), stress tests, or echocardiograms. These assessments help uncover potential problems and allow for appropriate interventions before surgery, reducing the likelihood of adverse events.

2. Tailoring the Anesthetic Plan

The type of anesthesia used during surgery can significantly impact the cardiovascular system. For example, general anesthesia can

lower blood pressure, while spinal anesthesia may affect heart rate. By obtaining a cardiac clearance, the anesthesiology team gains critical insights into a patient’s cardiovascular health, enabling them to choose the safest anesthesia method. This personalized approach minimizes risks and enhances overall surgical safety.

3. Preventing Postoperative Complications

Cardiovascular complications, such as heart attacks, strokes, or arrhythmias, are among the most common postoperative issues. A preoperative cardiac evaluation helps identify individuals at high risk and allows for preventive measures, such as medication adjustments, lifestyle changes, or delaying surgery, if necessary. This proactive strategy improves recovery outcomes and can even save lives.

How to Find a Quality Partner for Your Cardiac Health

Selecting the right healthcare provider for your cardiac clearance is crucial. Here are three tips to help you find a trustworthy and competent partner:

1. Choose a Board-Certified Cardiologist

Look for a cardiologist who is board-certified and has experience in preoperative evaluations. Board certification ensures that the doctor has met rigorous standards and stays updated on the latest advancements in cardiovascular care.

2. Seek Recommendations

Ask your primary care physician or surgeon for referrals to reputable cardiologists. You can also consult friends or family members who’ve had similar evaluations. Online reviews and patient testimonials can provide additional insights into the quality of care offered by potential providers.

3. Verify Diagnostic Capabilities

Ensure the cardiology practice has access to advanced diagnostic tools and technologies, such as EKGs, echocardiograms, and stress tests. Comprehensive evaluations require a combination of expertise and state-of-the-art equipment.

Final Thoughts

Cardiac clearance is a vital step in preparing for surgery, offering peace of mind and significantly reducing the risk of complications. By understanding the importance of evaluating heart health, tailoring anesthetic plans, and preventing postoperative issues, patients can approach their surgical procedures with confidence. Collaborate with a skilled and experienced cardiologist to ensure your heart is ready to handle the stress of surgery—because your heart health is too important to leave to chance.

For more information or to make an appointment, contact St. George Heart and Vascular at (435) 900-6001 or visit them online at stg-hv.com. St. George Heart and Vascular is located at 1841 E. Riverside Drive, Ste 102, St. George, Utah.

About the Author

Melinda Goodwin, APRN, MBA, FNP-C, has dedicated over twenty-six years to the medical industry, blending innovation and compassion in her approach to healthcare. In 2023, she founded Finish First Medical with a bold vision to push the boundaries of functional medicine and explore groundbreaking advancements in mental health, including ketamine therapy, cellular factors, exosomes, and organic hormone replacement therapy (HRT). Melinda is committed to fostering vitality and wellness for her patients. She is married and the proud mother of four children, all raised in the vibrant community of St. George, Utah. With its breathtaking landscapes and abundant opportunities for lifelong activity, St. George exemplifies generations of healthy living—a lifestyle Melinda passionately promotes through her work and personal life guided by her motto, “It is not about living a long life, it is about living a healthy life as long as you can!” Finish First Medical | (435) 500-6734 | www.finishfirstmedical.com | 1150 S. Bluff Street #4, St. George, UT 84770

Do you have wounds that don't heal or are slow to heal? Would you like to live a more active life in your golden years? St. George Heart & Vascular can help. We are a local medical clinic specializing in vascular care. Our patients receive a personal and hand-on approach to their medical care. We offer advanced equipment and the most experienced medical team St. George has to offer. Getting you back to doing the things you love and living a more active life is our priority. Is leg pain keeping you from doing the things you love?

Do you have PAD? Early detection can save your life and help to avoid amputation.

Risk:

or

• Over the age of 60

Symptoms:

• Non-healing or slow healing wounds

• Pain when walking OR resting

• Changes in skin color or temperature

TREATING AND PREVENTING PERIODONTAL DISEASE

I was recently introduced to an adjunct treatment to traditional periodontal therapy that I’m really excited about. I think it’s going to change the way we treat gum disease and will go a long way towards helping dental patients live healthier lives.

Gum disease is caused by bacteria in the mouth. These pathological bacteria secrete acids that irritate the gum tissue, causing them to become swollen and inflamed. This is called gingivitis. If gingivitis goes untreated, the disease begins affecting the bone. The bone erodes away and the attachment between tooth and bone is lost. This is periodontal disease.

It would be bad enough if only oral tissues were impacted, but studies have connected periodontal disease to atherosclerosis, heart disease, chronic obstructive pulmonary disease, diabetes, and even Alzheimer’s. If a woman smokes during pregnancy, she is twice as likely to have a preterm or low birth weight baby. A pregnant woman with periodontal disease is seven times more likely to have a preterm or low birth weight baby. The negative impact of gum disease on your overall health is undeniable.

Periodontal disease is most often treated through a process called scaling and root planing. This is sometimes referred to as a deep cleaning. During this process, bacteria is removed from the teeth, and the root surfaces are smoothed and polished so that bacteria can’t adhere as easily. It requires diligent home care and regular visits to the dentist to maintain healthy tissue once the disease process has started and bone loss has occurred.

About the Author

Antibiotic medicine that can be placed in the gum or mouth rinses are helpful. We even use soft tissue lasers that destroy bacteria and strengthen tissue.

The product that I’m excited about and that I am confident will raise the level of my patients’ health is from a company called Perio Protect. They’ve developed a hydrogen peroxide gel that is pushed down into the deepest part of the periodontal pocket through specialized trays. Hydrogen peroxide (H2O2) is water with an extra oxygen molecule. As it breaks down, oxygen molecules are released. The bacteria that cause disease in our bodies are typically anaerobic; they can’t survive in the presence of oxygen. So the gel disinfects the tissue and weakens any built-up calculus that might be present.

I’m excited about this therapy because it’s nontoxic and minimally invasive. You simply line the special trays with the peroxide gel and put them on for fifteen minutes each day. Most people will wear them in the morning while they’re getting ready for the day.

I’ve studied the research, and it is sound. I truly believe that this will be a benefit to everyone who uses it. Perio Protect has a great website with information for patients as well as dental providers: www.perioprotect.com.

If you have gums that bleed when you brush or floss, it is not normal or healthy. If it seems like your gums are receding or you struggle with bad breath, this treatment can help. It even has the cool side effect of whitening your teeth. But don’t think that you have to have progressive disease to benefit from Perio Protect. I’ve invited all the members of my Plumb Dental team to each get their personalized trays, and I’ll be using it as well. Any practicing dentist can prescribe this treatment. Ask your provider if you might benefit from using Perio Protect to treat or help prevent gum disease.

Dr William Plumb graduated from the State University of New York School of Dentistry in 2006. He opened Plumb Dental in St George, Utah, in 2009. He has received extensive continuing education in cosmetic dentistry as well as oral surgery and implantology. Dr. Plumb loves living in southern Utah with his wife Kari and their four children.

Plumb Dental offers general dentistry for the entire family, including preventative care, root canals, implant restoration, cosmetic work—even whole smile makeovers. To schedule an appointment, call (435) 673-9606 or visit our website at plumbdental.com.

SPRING INTO CLEANING MENTAL CLUTTER

The study and practice of therapy and behavioral health consulting/training have helped me better understand certain aspects of human behavior, including the negative impact mental clutter has on our health and wellness. Mental clutter refers to the excessive or overwhelming thoughts, worries, or concerns that can fill our minds and make it difficult to focus, make decisions, or feel at peace. Since the vernal equinox happens to be upon us and many are itching to spring into cleaning and tidying up, perhaps we could also spend a little time organizing our inner space and clearing out psychological clutter.

Time Poverty

One major contributor to mind clutter is the ever increasing speed of technology and how it is accelerating our perception of time. Time poverty, as it’s been coined, means that we can’t ever catch up or find enough time in a day for all we have going on. As a result, millions of Americans are overscheduled, overloaded, and overwhelmed.

The following are some recommendations for springing into action this season and clearing out time for our minds.

Set Aside Time to Think and Ponder

Phil Jackson, who coached the Chicago Bulls and the Los Angeles Lakers to eleven NBA Championships, said, “When the mind is allowed to relax, inspiration will follow.” Because life is demanding, we often become focused on moving from one activity to another. However, experts prescribe one hour of think-time every day to process what is going on around us. Time to think is invaluable in helping us organize our ideas and take action on the most essential things.

Build In Buffers

Koby Taylor, PharmD

Executive Editor, Author

Diane K. Del Toro

Director of Operations, Copy and Design Editor

Just as we are instructed to do when driving in heavy traffic, we need to create buffers between us and what is in front of us. This way, we can react appropriately to the unexpected. Consider adding an extra bit of time, some call it a fudge ratio, in between your daily tasks to account for unknown surprises.

Limit Screen Time

TVs, tablets, computers, and phones can fill our heads with so much useless noise and clutter. It’s important to make a conscious effort to disconnect frequently, especially in the evening hours before bed.

Erin Del Toro, ACHE Clinical Hypnotherapist

Calendar Purposeful Leisure

Anita DeLelles, LMT, LAMT Author, Pet Wellness

Author, Mind and Body

True leisure involves so much more than just “escaping obligation” and “not working.” According to Aristotle and Plato, leisure is an ideal state of being devoted primarily to contemplation, discourse, and self-expression. When we engage in leisure that requires deeper intention and creativity, the result is joy and rejuvenation.

Prioritize Your Physical Health

The mind-body connection is real. Giving your body healthy attention is directly connected to being clear headed and emotionally stable. A healthier you is a happier you. Learn how to flush out stress, depression, anxiety, and more just by staying active and eating and sleeping well.

Chris Eschler Author, Health and Well-Being

Clean Up Your Actual Clutter

Matt Eschler, PhD, LMFT Author, Relationships and Family

Real environmental clutter can affect our anxiety levels, sleep, and ability to focus. It can also make us less productive, triggering coping and avoidance strategies that make us more likely to snack on junk food and veg out on media (including watching flix about other people decluttering their lives).

Author, Community and Culture

Use To-Do Lists, but Tend and Tame Them

Scott Allen, MD

Author, Health and Wellness

When you feel overwhelmed, to-do lists can help by consolidating scattered thoughts and tasks. For many, once it makes a to-do list, it no longer takes up worry space. It’s important, however, to keep lists organized, prioritized, and refreshed daily and to avoid being overzealous by adding too much.

Rethink Your Thinking

Branden DuCharme Author, Financial Health

Those voices in our heads that are often judgmental and not so positive are junk. Pay close attention when these unwanted thoughts spark and learn to train your mind to dispose of them. Be kinder and more compassionate with yourself and others, and avoid rumination and overthinking, as they breed close mindedness and pessimism.

Additional Good Reads on Decluttering Our Lives and Our Minds

Essentialism: The Disciplined Pursuit of Less by Greg McKeown

Effortless: Make It Easier to Do What Matters Most by Greg McKeown

Goodbye, Things: The New Japanese Minimalism by Fumio Sasaki and Eriko Sugita

Super Attractor by Gabrielle Bernstein

Gini Grimsley, Director of Fitness Product, VASA Fitness Author, Health and Fitness

About the Author

Rob Henderson is a seasoned therapist and social service administrator who travels the Intermountain and Southwest U.S. as a trainer/consultant doing behavioral health seminars and workshops (www. RITEtrainings.org). Rob is also married with a ginormous family that loves their outdoor adventures and musical family room jam sessions.

Lyman Hafen
Rob Henderson, LASUDC, CTRS Author, Mind and Body
Marianne Hamilton Author, Community and Culture

PIZZA FACTORY

ST. GEORGE PIZZA FACTORY CELEBRATES FORTY-SIX

YEARS OF “CUSTOM-BUILT GOODNESS”

IN 2025

The Pizza Factory St. George, located in the historic Ancestor Square, has become one of the most well-known tourist stops in southern Utah over the past forty-six years. “We have customers who say they plan much of their vacation around coming to the Pizza Factory when they come to town,” stated Bill Randall, founder and owner of the Pizza Factory in St. George.

The idea for the Pizza Factory originated during the early 70s when a group of friends traveled to southern Utah for a ski vacation. Finding there wasn’t a pizza parlor in the area, they declared that “the need created an opportunity.” Subsequently, the first Pizza Factory opened its doors in Cedar City, Utah, in 1974. Through the years, the menu offerings have been refined to now include Chicago-style deep-dish pizzas, specialty pizzas, sandwiches, calzones, a fresh salad bar, and deluxe desserts, including custombuilt cookies, smoothies, and more.

After buying out some of the original owners, Bill Randall and Bill Kringlen opened up shop in St. George, Utah, on August 20, 1979.

“We’re here because we love Southern Utah and the people,” Randall stated. “We have a personal involvement with the community and want to continue providing a great place and environment where people can come and enjoy lunch and dinner.”

The Pizza Factory provides its customers with an enjoyable dining experience by making its pizza with only the finest ingredients and toppings possible. “Our emphasis has always been on quality,” Randall continued. “That’s what our customers like, and I guess that’s why we are still around after all these years.”

Menu choices are unlimited with a myriad of sauces and topping combinations from which to choose. The Pizza Factory offers nine made-to-order specialty pizzas in combination with the numerous sauces and toppings available. “Everything is done to order. You can have it your own way— custom-built. We also create our own sauces, and we make them fresh daily. The Pizza Factory provides the one-and-only Factory ambience while dining in our comfortable atmosphere,” Randall explained.

In 1994, they established the Pasta Factory, a restaurant that allows its customers to create their own signature pasta dishes or to pick one of the many freshly made entrees or salads on the menu. With eight made-toorder specialty entrees in addition to fourteen different types of pastas and seven varieties of sauces and six selections of toppings, your meal will be the ultimate dining experience. The Pasta Factory provides a comfortable, European-style atmosphere while dining inside, or you can opt to dine outside underneath the shade of a canopy.

Over the years, two more Pizza Factory locations have been added, one at Pineview Plaza and one on the corner of Dixie Drive and Sunset Boulevard. These locations offer a combination of the Pizza Factory’s signature, custom-built pizzas as well as their create-your-own pasta dishes. They provide dine-in, take out, and drive through services, while the Pineview location also provides door-to-door delivery service. All Pizza Factory and Pasta Factory locations offer catering, so give them a call when you are planning your next event. The Pizza Factory in Ancestor Square has a large room for parties of all sizes, and the Pasta Factory has a large banquet room for parties, receptions, business meetings, and more. For more information, call the Pizza Factory at 435-628-1234, or go online and check out their amazing custom-built menu items at stgeorgepizzafactory.com

Pizza/Pasta Factory

Pasta Factory: 2 W. St. George Blvd. #8, St. George, UT 84770 | 435-674-3753

Pizza Factory: 2 W. St. George Blvd. #8, St. George, UT 84770 | 435-628-1234

Pizza Factory Express: 1930 W. Sunset Blvd., St. George, UT 84770 | 435-634-1234

Pizza Factory Pineview: 2376 E. Red Cliffs Dr., St. George, UT 84790 | 435-688-2656

Pizza | Pasta | Dine-In | Take-Out | Salad Bar | $$

Delivery available at Pine View location only

Mon.—Sat at 11:00 a.m.

The Pasta Factory, with its year-round, climate controlled outdoor patio dining wows with custom-made pasta, soups, sandwiches and salads. The Pizza Factory offers three locations with the best and freshest salad bar in town; homemade soups, sandwiches, famous bread twists and Southern Utah’s favorite pizza combinations.

Angelica’s Mexican Grill

101 E. St. George Blvd., St. George, UT 84770 | 435-628-4399

Mexican | Vegetarian and Vegan Options | Family Friendly | $ Mon.–Sat., 11:00 a.m.–9:00 p.m.; Closed Sun.

Located Downtown on St. George Boulevard, Angelica’s Mexican Grill serves fresh, made from scratch authentic Mexican food. The flavor driven and nationally recognized menu provides everything and more that you would expect from a Mexican restaurant, including street tacos, Mulitas, Tortas, Sweet Carnitas, Machaca, and their famous salsa bar. Vegan and Vegetarian dishes are always available. Seating is available inside and also outside on the spacious patio. Catering & To-Go ordering available.

ADHD in Marriage: Crazy or Romantic?

Will you go on a hypothetical journey with me? Let’s say you are getting married to your best friend. Your partner is playful, interesting, fun, adventurous, and definitely never boring. In fact, your time spent dating is not only constant but is also a whirlwind of time, attention, and activities. The relationship seems near perfect.

Now, fast forward past the wedding day, the honeymoon, and the move into your shared home. Somewhere amidst all of this, some drastic and disturbing changes begin to show up. You constantly need to remind your spouse to help you and to be more attentive to the decisions and agreements you make together. You start to wonder if your partner is a big liar who put on a show before the marriage and who does not care about or participate in the relationship after the marriage. You begin to nag and accuse, and in turn, your spouse responds with incredibly rude outbursts and a disrespectful tone, often literally arguing like a child that needs to be put in time-out. Your relationship seems to have changed overnight!

I see many couples that come to marriage counseling because of drastic changes that appeared to occur the minute the marriage ceremony was over. With many of these couples, the problem is not deception; the culprit is attention deficit hyperactivity disorder (ADHD). While having ADHD does not give anyone a

free pass to do whatever they wish, it is definitely a reason to learn the skills that are needed to be in a relationship and to stay romantically connected.

When ADHD shows up in a relationship, the incredible, flattering hyperfocus on the relationship during dating can graduate to a complete, inattentive lack of concern for the relationship. It may seem like marriage was the only goal, causing confusion, anger, feelings of abandonment, and everything in between. ADHD comes with behaviors and habits that can, when misunderstood, destroy affection in marriage.

Though once labeled “minimal brain dysfunction,” the diagnosis of ADHD does not mean the person is lacking intelligence. In fact, people riddled with ADHD are often dreamers that are gifted and successful. Although they are sometimes thought of as uncaring, irresponsible, lazy, and even crazy, individuals diagnosed with ADHD may become immediately defensive upon diagnosis, feeling judged and dismissed. One of the most painful experiences cited by those with ADHD is the “lifelong experience of being chronically misunderstood.”

Is ADHD ruining your marriage? These three relationship skills are necessary—even mandatory—in order for you and your spouse to be lovers for life and beyond:

1. Stop all blaming and finger pointing. ADHD is no one’s fault, and because neither of you chose the disorder, the symptoms must be managed together. Blaming each other for problems only creates discontent. If you persist in trying to win an argument, both you and your spouse will lose the argument.

2. Empathy for each other is the only skill that is needed to be able to skip over all of the combativeness, misunderstanding, and contention. If both partners will step into each other’s shoes with empathy instead of judgment, it softens negativity and creates pathways to solutions.

3. It takes two to do the tango. Both partners must be able to hone their participation skills. Don’t use “you do this and that” statements. “I thought this” and “I feel that” statements will always get more honest traction toward peace.

The dilemma of feeling misunderstood, dismissed, and neglected in marriage due to the issue of ADHD can be resolved. Marriage can be romantic when couples embrace each other’s differences and negotiate for each other rather than against each other.

“ “
While having ADHD does not give anyone a free pass to do whatever they wish, it is definitely a reason to learn the skills that are needed to be in a relationship and to stay romantically connected.

About the Author Matt lives in St. George, Utah, where he and his wife, Chris, are enjoying their life with each other. Since their children have grown up and moved out to pursue their dreams, Matt and Chris travel the world. They want to visit 200 countries before they are done. Matt and Chris are active in their community and enjoy working out, training for marathons, and spending time participating in numerous activities with their adult children. Matt received a PhD in psychology. He is focused on the arena of resolving personal conflicts and improving interpersonal relationships. In addition to his doctorate degree, Matt has earned a master’s degree in marriage and family therapy, studied criminal justice and received a category one license with Peace Officer Standards and Training, and received a degree in the Arts of Business Management. Matt is a professor at Dixie State University and hopes to be part of the positive growth of southern Utah.

A Compassionate Heart Is a

Courageous Heart

I have noticed that many of my clients who have a hard time recovering from setbacks carry a similar false belief: I am too sensitive to heal. Because this pattern in the thought process is so common, I feel I should address it. Having this belief implies that a sensitive, compassionate, loving person is a weak person, and this notion is completely false! In fact, I would say the opposite is true: a sensitive person is actually a very strong person. A kind, compassionate person is actually a person of courage and confidence.

Our childhood heroes are often portrayed as fierce warriors. While it is true that a soldier exemplifies immense courage in battle, in everyday life, consistent bravery is displayed by the unassuming

person who returns an unkind gesture with a smile. It is easy to fire back a sharp retort at an offending person, but it is quite difficult to take the higher road and give a kind word to an intended hurt.

We are living in a time of division—a time when it is very easy to judge another and to ridicule those who proceed through life differently than we do. Right now, it takes a conscious effort to show compassion.

By showing kindness and mercy, we become a strong and united family, community, and nation. Compassion inspires us to engage with our fellow sojourners in this life with greater and greater empathy. It mirrors back to each individual our shared humanity and reminds us that each soul is equally deserving of kindness. A compassionate heart reveals the essential bonds shared between all people and inspires the willingness to see the divine beauty within each soul.

I remember when everyone came out of the two-week pandemic quarantine several years ago. People were kind! We held the door for each other, and we showed compassion in our eyes for each other. Do you remember that, too? Sadly, we’ve lost a lot of that. Now, I often see contempt, disconnect, and complacency where I used to see love, concern, and empathy.

heart knows before the brain does. It knows before the eyes have a chance to see. Take care of your heart! If you nurture love and compassion, you will strengthen this muscle—this wonderful gift of life, love, and knowing.

7. Journal your hurts and frustrations. Get them out! As you do so, you’ll notice some of your subconscious false beliefs; you’ll be able to call them out. As you get the dark emotions and feelings outside of you, you’ll allow for healing. I can’t stress enough how powerful this exercise is.

lives

others

and difficulties. She is certified in the SimplyALIGN™ method and was trained by founder Carolyn Cooper herself. For more information, visit www. brightworksbybrigit.com.

About the Author Brigit Atkin–Brigit of Brightworks helps improve the lives of others facing challenges and difficulties. She is certified in the SimplyALIGN™ method and was trained by founder Carolyn Cooper herself. For more information, visit www. brightworksbybrigit.com.

8. See yourself and each person you encounter as a divine soul. We are of infinite worth, and we are more than we often are portrayed by the world. When one suffers, we will all likely suffer on some level. We are all connected.

Instead of this unhealthy attachment, see if you can attach your happiness to a Higher Power, to God. See what changes.

Let me make a clarification: Being compassionate does not mean being a doormat. Understanding this dispels the false belief about being too sensitive for one’s own good. A compassionate person starts first with caring for self and has healthy boundaries in his or her interactions and relationships.

A person with a compassionate heart will find the courage to move forward, especially in times of uncertainty and turmoil. If you find yourself struggling to be compassionate or kind, you likely are dealing with a closed heart caused by your own painful experiences.

Listed below are some tips that can help with this struggle. Practicing these exercises will help you find room in your heart to more fully enjoy this sometimes treacherous journey on earth.

You are fully capable of being kind, compassionate, strong, and resolute all at the same time. I challenge you to nurture and exercise this amazing ability within your heart. As you do so, I promise you you will feel stronger in your body, you will open the door of healing within yourself, and you will find joy even in the sorrows of life. Try it. It takes courage. I dare you.

Once you’ve retrieved your personal remote by accepting reality, now you must use it to navigate to your own happy channel. This sounds easy, but as we all know, it is not. Here is something that helps me and that I also use in my practice. As I begin working with a client, I accept the reality that I am not the one responsible for their healing; they are. I do my very best for that client, and when we are finished with the session, I tell them, “Now is the fun part; it is time to see how it all unfolds.” I then let go of the outcome. I check in with the client several days later, but I don’t carry around the worry of the outcome. I’m grateful for the experience of working with them, and I trust that all will work out. And it always does.

1. Find something in your hardship for which to be sincerely and genuinely grateful. This is key, and this is important.

2. Ask yourself quality questions about the source of your troubles so that you find the lesson life is trying to teach you. The lesson may be as simple and profound as learning humility, patience, or forgiveness.

3. See this current situation as a challenge or game. What new strategy do you need to employ?

A very wise man, Gordon B. Hinckley, once said, “Anyone who imagines that bliss is normal is going to waste a lot of time running around shouting that he’s been robbed. The fact is that most putts don’t drop, most beef is tough, most children grow up to just be people, most successful marriages require a high degree of mutual toleration, and most jobs are more often dull than otherwise. Life is like an old time rail journey…delays, sidetracks, smoke, dust, cinders, and jolts interspersed only occasionally by beautiful vistas and thrilling bursts of speed. The trick is to thank the Lord for letting you have the ride.”

4. Realize some unavoidable truths. A heavy heart will make for a gloomy, unlived life. A bitter heart will literally cause you heart problems if left unchecked. An unkind heart will drive good people out of your life and will chase love away.

5. You have the power to choose. No matter the circumstance or the actions of others, you always have the power to choose your thoughts, attitude, and actions.

6. Your heart knows. Scientists call this “heart knowing.” They have studied it and proven that the heart literally knows when something is going to happen before it occurs. The

Take back the remote control to your happiness. Safeguard it because your happiness depends on it. Be grateful in any circumstance, for this is a very important button in the drama of life. You have the power to choose what you tune into, what you turn down, what you change, and what you record for future viewing. You can choose to be happy. To paraphrase what I tell my clients, now is the fun part. See how it all unfolds: do the best you can, let go of the outcome, let a Higher Power be your guide, and trust that all will work out. It always does.

About the Author Brigit Atkin–Brigit of Brightworks helps improve the
of
facing challenges

Refresh and Revitalize Your Mind This Spring

About the Author

Erin Del Toro is an ACHE Registered Clinical Hypnotherapist, the owner of Balanced Modern Hypnotherapy, and the Mindset Director at Movara Fitness Resort. She’s passionate about changing the effects of trauma, rewriting unwanted habits and behaviors, and helping others unlock the power of their true potential.

Erin lives in St. George with her twin daughters and enjoys participating in the ninja warrior sport and playing in the beautiful outdoors of southern Utah.

Hooray! It’s springtime again in southern Utah. The world around us is waking up in a vibrant display of life and color. Trees and cacti overflow with blooms, flowers unfurl their petals, and desert creatures reappear, eagerly soaking up the sun. But spring isn’t just a fresh start for Mother Nature; it’s also a welcome opportunity for us to refresh and rejuvenate our lives.

As the days grow warmer, we often feel an irresistible urge to embark on new adventures. This energetic season invites us to tackle improvements, big and small, that lead to greater joy and success in all areas of our lives. It is a time when our minds become more open and ready to pursue self-improvement goals and ideas we may have been putting off.

I love helping others find success in every good thing, but one of my favorite focuses this time of year is assisting people in rediscovering and reigniting helpful feelings and perspectives. Sometimes, we go through stressful periods or events that alter our thinking, emotions, and brain patterns in negative ways, creating a “wintery fog.” In these situations, life can feel so different for so long that the old feelings fade further and further away until some of the positive feelings of yesteryear seem gone forever. The truth is, no matter how distant those good feelings may seem, your brain’s neural pathways can be restimulated and begin to be brought back online in a matter of minutes.

Just as the sun’s rays trigger changes in nature, our brains and bodies are equipped with natural tools to renew mental and physical functions. Accredited research continues to show that the mind is highly malleable. Dormant neural pathways can be reignited, and unhelpful pathways can be altered, particularly when the brain operates at specific wavelengths. This means we can “turn on” old feelings or thought processes we thought were long gone. To do this most effectively, the brain needs to be operating at lower wavelength frequencies than our conscious-thinking mind but at higher wavelength frequencies than our sleeping mind.

Change is not only within reach— it’s an exciting process filled with hope and endless possibilities.

The surprising yet simple answer to allowing your brain to be in this state is to be in a very deep form of meditation—or what we call hypnosis. That word “hypnosis” can cause some to raise an eyebrow, but hypnosis, simply put, is a deeper meditation than most people are successfully able to stay in or think in for long periods of time on their own.

A clinical hypnotherapist helps you relax your mind and body, guiding your brain from the conscious mind’s beta waves, through calming alpha waves, and into deeper theta waves. Once in this powerful theta state, the subconscious mind comes to the forefront, making it easier to change old feelings, habits, and thoughts.

During hypnosis, you can release old emotions tied to stressful events and reverse the effects of negative past events and

traumas. In a theta-healing state, with the guidance of a skilled hypnotherapist, you will likely rediscover positive feelings and perspectives you thought were lost. With consistent hypnotherapy, the missing feelings will begin to revive and become part of your life again, setting the stage for renewed self-worth, confidence, and success.

As we marvel at the beauty of spring’s revival, let it remind us of our incredible potential for transformation. Change is not only within reach—it’s an exciting process filled with hope and endless possibilities.

If you’re curious about the benefits of hypnotherapy, explore more at balancedmodernhypnotherapy.com or contact Erin at 435-429-2560. May your journey this spring be one of renewal!

Understanding Longevity: Science, Choices, and Lifestyle

The quest for longevity—living a long, healthy life—has fascinated humanity for centuries. Advances in science continue to uncover the biological mechanisms behind aging and how lifestyle choices profoundly impact the length and quality of life. Central to this understanding are mitochondria, the cell’s powerhouse; metformin, a promising anti-aging drug; and epigenetics, which bridges our genes and environment. By exploring these topics, we can uncover actionable steps that promote a longer, healthier life.

Mitochondria: The Cell’s Powerhouse

Mitochondria, the “power plants” of our cells, are responsible for converting glucose and oxygen into ATP, the energy currency that powers cellular processes. Beyond energy production, mitochondria regulate metabolism, signaling, and apoptosis, the programmed death of damaged cells. However, as we age, mitochondrial function declines due to oxidative stress, which occurs when free radicals damage cellular components. This decline is linked to numerous age-related diseases, including neurodegenerative disorders, cardiovascular issues, and metabolic conditions.

Strategies such as regular exercise, caloric restriction, and supplementation with compounds like Coenzyme Q10 (CoQ10) and NAD+ precursors can help maintain mitochondrial health. Focusing on mitochondrial support through these methods can slow aging and enhance overall health. While aging is inevitable, prioritizing mitochondrial health can help mitigate its impact.

Metformin: A Promising Ally in Longevity

Metformin is commonly prescribed for managing type 2 diabetes, but emerging research suggests it may also have antiaging properties. Metformin activates the AMP-activated protein kinase (AMPK) pathway, which regulates energy homeostasis within cells. AMPK activation improves insulin sensitivity, reduces inflammation, and enhances autophagy—the body’s process of clearing out damaged cells. These effects collectively reduce the risks of chronic diseases like cancer, cardiovascular disease, and neurodegeneration.

While more research is needed to confirm the benefits of metformin for nondiabetic individuals, its potential in promoting longevity is significant. By targeting fundamental aging processes, metformin exemplifies how pharmacological interventions may complement lifestyle changes to extend lifespan and enhance health.

Epigenetics: Beyond Our Genetic Blueprint

For decades, we believed that our genes determined our fate. However, epigenetics has revolutionized this view. Epigenetics refers to changes in gene expression without altering the underlying DNA sequence. Environmental factors, diet, stress, and lifestyle choices all influence epigenetic changes. Imagine genes as light switches in your body. These processes help decide when the switches are turned on or off. When genes are turned on, they do their job, like making proteins that keep us healthy. When they’re turned off, they stop working. These processes

can affect how we age and how our body stays healthy. So, by controlling these “switches,” we can influence how our body functions and gets older.

For example, chronic stress can activate genes linked to inflammation, while regular physical activity promotes the expression of genes that support cellular repair and longevity. The most exciting aspect of epigenetics is that these changes are reversible and highlight our ability to control and even reprogram aspects of our biology previously thought to be fixed.

The Role of Diet in Longevity

A well-balanced, nutrient-rich diet plays a vital role in longevity. Whole, minimally processed foods provide the nutrients necessary for optimal cellular function. Choosing antioxidantrich fruits and vegetables combats oxidative stress and promotes cellular repair. Healthy fats from sources like olive oil, nuts, and fatty fish support brain function and cardiovascular health, while lean meats and plant-based proteins. such as legumes and beans, help maintain muscle mass and metabolic health. Intermittent fasting has been shown to improve mitochondrial efficiency, reduce inflammation, and activate cellular repair processes. Think of it this way: processed foods promote aging; unprocessed foods promote longevity.

Managing Stress and Its Impacts

Chronic stress accelerates aging by shortening telomeres— protective caps on chromosomes that shorten with age. Stress also triggers inflammation, which contributes to many age-related diseases. Effective stress management is crucial for longevity.

Mindfulness and meditation can be powerful tools for reducing stress. Even five minutes of focused breathing can lower heart rate, reduce adrenaline, and calm the nervous system. Regular physical activity is another natural stress reliever, improving mood and mental clarity. Building strong social connections and nurturing positive relationships foster a sense of belonging and reduce stress. Additionally, reevaluating relationships that may negatively impact your well-being is vital for your health.

Environmental Influences on Longevity

Our environment has a significant impact on longevity. Exposure to pollutants, toxins, and poor air quality can damage cells and increase the risk of chronic diseases. On the other hand, clean environments and time spent in nature promote health and wellbeing. Spending time in green spaces has been shown to reduce

About the Author

cortisol levels and improve mood. Even viewing nature from a window has a positive effect on health.

To create an environment conducive to longevity, reduce exposure to toxins by opting for natural cleaning products and avoiding plastics that leach harmful chemicals. Improving indoor air quality by using air purifiers and incorporating plants into living spaces. Spending time outdoors, even in small doses, can benefit both mental and physical health. Evaluate your home and work environments to ensure proper lighting. Reducing exposure to screens also supports longevity.

The Relationship Between Science and Lifestyle

Scientific advancements in aging research along with lifestyle choices offer a promising outlook for longevity. By supporting mitochondrial health, exploring pharmacological interventions like metformin, and embracing epigenetic strategies, we can optimize our health and extend our lifespan. The key principles of good health remain unchanged: eat well, move often, manage stress, and cultivate a healthy environment for yourself. Longevity is not just about living longer; it’s about enhancing the quality of life throughout those years.

Koby Taylor, PharmD, is the owner and pharmacist of Fusion Pharmacy. Working as a retail pharmacist early in his career, Koby began to see that pharmacy patients needed to have access to available alternative medications. He realized that pharmacy in its truest form is compounding, and he wanted to be able to provide patients with customized medications. He also desired more personalized interactions with patients in order to truly help their health and well-being. To fulfill his passion for improving the health of patients and educating them about compounding, Koby opened the doors of Fusion Pharmacy in 2013. Today, Fusion is nationally accredited with PCAB. It is licensed in and ships to 32 states. Fusion is proud to have two locations to better serve the southern Utah community. Koby graduated from Brigham Young University with a degree in molecular biology in 1995 and from the University of Utah with his Doctorate of Pharmacy in 2000.

I Can’t Stop Doing the Very Thing That I Hate About Myself!

Breaking free from any habit is a real struggle and can be very frustrating. Some habits are seemingly minor, like quitting caffeine, biting your nails, or mild procrastination, and some are more intense, like eating disorders, self-harm, substance abuse, or sexual addiction. Some of the more minor habits may be more of an annoyance than a disruption, but more severe behaviors can be debilitating and compulsive, leaving you at your wits end.

The more severe behaviors are personally distressing because they don’t align with your core values: who you truly want to be. You may promise to change but fail to do so time and time again, finding yourself on autopilot, repeatedly falling into the same destructive patterns despite your best intentions to quit. In the process, these behaviors cause you to not only betray yourself but often hurt those you love.

In frustration at your failed attempts to control these impulses, you ask yourself, “What is wrong with me?” You believe you must be defective to have these urges in the first place. This internal conflict creates shame, which pulls you deeper into the very behaviors from which you wish to break free.

Self-betrayal is a painful experience. It causes you to feel ashamed of yourself and frustrated that you continue to act in ways that do not serve you well. So you cover up your secret, hoping that nobody figures out that something is wrong with you.

All is not lost! Be generous to yourself and note that your mind sees a need, and that need drives you to do whatever will make you feel better, despite the fact that your values and beliefs may be telling you to do something different. Know that there are steps you can take to begin the journey of breaking free from your destructive behaviors. Start with the following:

• Separate yourself from believing you are your compulsion. Be kind to yourself, and realize that you are valuable. Go through a process of apologizing to and forgiving yourself for your poor choices. Going forward, stand firm with who you truly are. Be cognizant of your personal power to choose and to stand up against your impulses.

• Release your secret. In order to release the internal shame and break free of the cycle, secrets must go. Identify a trusted confidant, a parent, spouse, friend, or ecclesial leader on whom you can unload your burden. Be honest with the extent you are struggling and how long it has enslaved you. Be brave and admit you need support and accountability.

• Instead of focusing on what’s wrong with you, try asking, “Why am I doing the thing I want to stop?” The “whys” are important because they lead you to the root of the issue. Without curiosity, you won’t come up with a solution to the problem. With your confidant, talk about your memory of when the behavior started and what was going on at the time. This will help you process the underlying feelings. Then, distinguish the “what and how” from the “why”: What is your brain trying to accomplish with the compulsion, and how can you meet those needs in a healthy manner?

About the Author

• Build your feel-good hormones. Deficiencies in one or more of the feel-good hormones—endorphins, serotonin, dopamine, or the catecholamines (dopamine, norepinephrine, epinephrine)—cause unwarranted behavioral reactions. Deficiencies are generally caused by long periods of stress, trauma, neglect, or genetic disposition. They are commonly factors in behavioral entrapment and may be the root cause of your compulsions. Refuel these hormones by seeking positivity wherever you are. Incorporate meditation, yoga, prayer, acts of kindness, and hugs into your life. Recognize beauty and cultivate gratitude. An added avenue for healing is amino acid supplementation. Just as certain amino acids build the muscles of the body, others build the feel-good neurotransmitters of the brain. A trained professional can walk you through the process of deciding which aminos are right for you.

• Evaluate your nutrition. Supply your body with healthy proteins, carbohydrates, and vegetables. Incorporate vitamin, mineral, and amino acid supplements. A healthy body strengthens you to overcome life’s hurdles.

Whatever your habit, addiction, or compulsion, you are not worthless or hopeless. There will be many people who will show up in your life as rescue lines when you reach out and are searching and prayerful. Remember, you have the power to overcome all things through your faith and the support of others.

Chris Eschler earned a BS in Marriage and Family Sciences at Brigham Young University-Idaho. As a life coach at Ascend Counseling and Wellness. Chris works with individuals to develop their skills and provides a safe, accepting environment for exploring a wide range of thoughts and feelings. Chris knows that you are the expert of your life and that she is simply a guide. She currently sees couples with her husband, licensed therapist Matt Eschler. Together they assist couples with all couples issues, specializing in high conflict couples work. To schedule an appointment with Chris for life coaching, call Ascend Counseling and Wellness at 435-688-1111 or visit https://ascendcw.com/.

About the Author

Dr. Scott Allen is a St. George-raised, boardcertified anesthesiologist. He has specialty training in transplant anesthesiology and currently practices with Mountain West Anesthesiology at St. George Regional Hospital. He is also the medical director of Satori Health, an integrated ketamine clinic (www. theketamineclinic. com). Dr. Allen is the past president of the Washington County Medical Association. With his deep roots in Utah, he has a special passion for improving the mental healthcare of his friends and neighbors in the community. Dr, Allen enjoys outdoor pursuits with his family and communing with nature. He’s doing his best to stay grounded in the moment!

Skinimalism for Men: Simplify Your Skincare Routine

For years, skincare was often marketed primarily to women, leaving many men either neglecting their skin or feeling overwhelmed by complicated routines. Enter skinimalism: a minimalist approach to skincare that focuses on using fewer, more effective products to achieve healthier skin. It’s simple, straightforward, and perfect for guys who want results without the fuss.

The Perfect Routine for Men

Skinimalism is the opposite of the multistep regimens you might have seen online. Instead of loading your bathroom shelf with an arsenal of products, skinimalism encourages you to focus on the essentials and work with your skin’s natural needs. It’s about embracing your skin’s natural texture and solving problems like dryness, oiliness, or irritation without overcomplicating the process.

For men, who often prefer quick and practical solutions, skinimalism offers the perfect balance between effective self-care and a no-nonsense routine.

Why Should You Join the Skinimalism Movement?

For men, this approach is a game-changer. You don’t need an encyclopedia of serums and masks to have healthy, great-looking skin. Using too many products can confuse your skin (and your wallet). Instead, skinimalism is all about working smarter, not harder. Here are four reasons why you might want to join the skinimalism movement:

1. Healthier Skin: Over-cleansing or skipping moisturizer isn’t helping. A simple routine keeps your skin balanced and happy.

2. Time-Saving: No one wants to spend time deciphering the difference between glycolic acid

and hyaluronic acid. Skinimalism is quick and easy because you’ve got better things to do.

3. Saves Money: High-quality, multipurpose products mean fewer purchases and more cash in your pocket.

4. Boosts Confidence: Healthy skin helps you look good and feel great with no extra effort required.

The Low-Maintenance Routine Every Guy Can Follow

1. Cleanse: Ditch the body soap. Use a gentle face wash both morning and night to remove dirt, oil, and sweat. You are done in one minute.

2. Moisturize: Think of moisturizer as your skin’s shield. Apply a lightweight, non-greasy cream after cleansing to keep skin hydrated.

3. Sunscreen: Yes, you need it. Apply SPF 30+ every morning to prevent sunburn and aging. It’s quick and worth it.

Optional Extras for the Overachievers

• Shaving Woes: Razor burn? Try a soothing aftershave balm or aloe-based moisturizer.

• Breakouts: Add a salicylic acid cleanser two to three times a week. It’s like a bouncer for your pores.

• Aging Concerns: Retinol at night can keep you looking sharp.

Keep It Simple—Your Skin Will Thank You

Skincare doesn’t have to be complicated, expensive, or time-consuming. Skinimalism is about doing the basics and still coming out ahead. Toss that threein-one soap/shampoo/conditioner combo, grab a couple of solid products, and keep it simple. Your skin (and anyone who gets close) will thank you.

Balancing Liquidity and Cash Flow in Retirement

You are about to enter some of the best years of your life: retirement. However, there is more to the plan than just retiring. You need to stay retired. We often divide the retirement years into three main groups:

• The go-go years when you first retire, likely have good health, and want to be more active.

• The slow-go years when you are relatively active but starting to experience mobility or health concerns.

• The no-go years (the backside of retirement) when you are slowing down, traveling less, and enjoying relationships with friends and family more.

Although everyone’s time in each phase will differ, everyone will experience them at some point. Will you have the proper liquidity at the proper times to accommodate the changing lifestyle and expenses that come with these changes?

As people enter the go-go years, or begin retirement, they often focus on replacing their income from employment. Simply put, they try to be cash flow positive, where their income remains higher than their expenses. This will get them into the go-go phase, but done incorrectly, they may experience significant trouble ahead.

The trouble may come when there is a need for liquidity. A lot of financial products or strategies that may provide the desired cash flow to retire are often illiquid and can tie up substantial portions of overall wealth.

For example, annuities and real estate both provide for a stream of cash flows that can help you get that mailbox money needed to retire. However, they are both considered illiquid, and if you had a situation arise that required liquidity, you may experience a significant loss on what was supposed to be a relatively more secure strategy. On annuities, you may pay a large surrender charge to liquidate some or all of your funds (if it is possible at all), and real estate liquidation would likely come with the need to purchase title insurance policies, pay real estate broker commissions, and potentially even deeply discount the property because of an immediate need for access to the equity.

While both real estate and annuities are potentially wonderful products that may solve specific problems, those problems are only able to be identified when you zoom out and plan for retirement by looking at the entire picture. That doesn’t mean looking just at specific asset classes or at how to retire. A sound financial plan needs to consider individual factors. What is your and your family’s health status and history? How will you plan for health, long-term care, and liquidity needs towards the end of your retirement? What kind of legacy would you like to pass on to your family? What kind of risks are you capable and comfortable taking?

By starting with the end in mind and identifying your own goals, you can then—on your own or with a professional—back engineer the plan to solve specific problems that you and your estate face. Ultimately, products, regardless of type, solve specific problems, and they come along with their own risks and challenges. This is why products should be reviewed last as part of your financial plan and used on a need-driven basis to solve specific challenges you face. A well-balanced plan with this approach will be more likely to help get you comfortably through not just one phase but all phases of retirement.

Know These Four Core Factors to Avoid a Heart Health Syndrome

In the U.S., one in three adults is at risk for a newly recognized syndrome that comes from a combination of heart disease, kidney disease, type 2 diabetes, and excess body weight. This cluster of conditions, called cardiovascular-kidney-metabolic (CKM) syndrome, is an example of how problems in one part of your body can affect other parts.

To avoid CKM syndrome, health experts suggest paying close attention to four of the American Heart Association’s Life’s Essential Eight—blood pressure, lipids, body weight, and blood sugar level—which are core health factors that impact your metabolic health.

Good metabolic health means your body uses energy well and keeps these factors in a normal range. However, when numbers are off in one area, it can affect others, raising your risk for heart disease, stroke, kidney disease, and diabetes.

Consider these tips from the American Heart Association to help keep your core health factors under control.

Blood Pressure

High blood pressure, also known as hypertension, happens when the force of your blood pushing against the walls of your blood vessels is too high. High blood pressure is a leading cause of heart disease, stroke, and kidney disease.

Because high blood pressure doesn’t have symptoms, the only way to know you have it is to get your blood pressure checked. Healthy blood pressure is below 120/80. If your blood pressure is 130/80 or higher, talk to your doctor about checking your other core health factors.

Lifestyle changes can help reduce high blood pressure. One example is a Dietary Approaches to Stop Hypertension (DASH) eating pattern that is low in fat and rich in fruits, vegetables,

whole grains, and low-fat dairy products. Losing ten pounds and reducing alcohol consumption can also reduce blood pressure.

Cholesterol

Cholesterol is a waxy substance your liver makes then circulates in the blood where your body uses it to build cells and make vitamins and hormones. You may also get cholesterol from eating animal products. If there is too much cholesterol circulating, your risk of type 2 diabetes, heart disease, and stroke may increase.

For optimal CKM health, your LDL cholesterol should be below 100 and triglycerides below 150. Triglycerides are the most common type of fat in the body. If your triglyceride level is 135 or higher, talk to your doctor about decreasing your risk.

Losing body weight and increasing physical activity decrease triglyceride levels. In addition, DASH and Mediterranean (plantbased, high-fiber, low-fat) eating patterns support healthy LDL and triglyceride levels.

Body Weight

Healthy weight may be determined by body mass index (BMI), a number that represents your weight in relation to your height. Extra body fat can mean a higher risk for many health problems, including heart disease, stroke, high blood pressure, high cholesterol, and diabetes.

CKM syndrome starts when BMI is twenty-five or higher and waist circumference is thirty-five inches or higher for women and forty inches or higher for men. Aim for a BMI between 18.5 and 25.

To lose weight and keep it off, start by setting realistic goals. Understand how much and why you eat, manage portion sizes, make smart snack substitutions, and be physically active.

Blood Sugar

High blood sugar can slowly damage the kidneys. In fact, diabetes is the leading cause of kidney disease, and it increases the risk of heart attack and stroke.

Blood sugar is measured in two ways: a fasting blood glucose test (short term blood sugar) and an A1C test (long term blood sugar control). A normal fasting blood glucose level is between seventy and ninety-nine and a normal A1C level is below 5.7 percent. Fasting blood glucose above 125 and A1C of 6.5 percent or higher means you have diabetes.

Habits that help you avoid high blood pressure, weight gain, and high cholesterol also keep your blood sugar in check. These are especially important if you have a family history of diabetes.

Learn more about CKM syndrome and how to manage your risk at heart.org/CKMhealth

Active Recovery Versus Rest: What’s the Difference?

We’ve all heard the phrase “no pain, no gain,” but rest and recovery are essential for overall wellness and for maintaining and improving fitness levels. Just like a car needs regular tune-ups to function well, the body also requires time to recover, refuel, and repair.

Many believe recovery means complete rest, and while small amounts of zero activity are required, active recovery helps maintain fitness levels while allowing the body to recover from strenuous workouts. According to the Journal of the American Geriatrics Society, in a 2020 study of older adults in assisted living, those who were forced into bed rest experienced higher rates of sarcopenia (muscle mass and

strength loss) than those who maintained an active daily routine. When the body is at rest, blood flow slows, heart rate decreases, muscles atrophy, and central nervous system activities decline. All these things are important for a higher quality of life as we age.

Active recovery includes low intensity movements like walking, stretching, and bodyweight exercises which increase blood flow to sore or strained muscles, helping them recover more quickly while also improving breath quality and reducing mental stress. While strength training aims to max out muscle contractions, and HIIT (high intensity interval training) workouts maximize heart rate, active recovery slightly elevates the heart rate, blood flow, and central nervous system activity, allowing nutrients to reach the muscles that need to be repaired and effectively removing waste, like lactic acid.

As an example, an active recovery session could include twenty minutes of yoga followed by twenty minutes of walking. It could also include foam rolling, stretching, and bodyweight squats, pushups, and rows.

When foam rolling and stretching, focus on the quads, hamstrings, calves, and upper back. For an active recovery focused on bodyweight movements, try the following:

• Air squats: ten total

• Push-ups: ten total

• Single leg Romanian deadlift: ten on each side

• Resistance band single arm row: ten on each side

• Lateral lunge: ten on each side

Focus on moving slowly and reaching maximum depth. If needed, use a TRX Suspension Trainer to make the movement less challenging. The intensity should not exceed a five on a scale of one to ten.

Dedicate thirty to forty minutes at least one day per week on active recovery, keeping the intensity low and focusing on quality movements and controlled breathing—inhaling through the nose and exhaling through the mouth at an even pace. This helps calm the nervous system and aids in ridding metabolic waste from muscles, leaving your body feeling refreshed. Regardless of your fitness level, whether you’re just starting out or a seasoned gym veteran, including active recovery in your routine will help you recover faster and maintain your fitness level for years to come.

About the Author

Gini Grimsley is the Director of Fitness Product for VASA Fitness where she creates cutting-edge fitness programming for VASA’s clubs across eight states.

LOOK A ROUND DISCOVER THE CLARITY

Jason W. Hendrix MD

Cataract Surgeon & Comprehensive

Opthalmology

D. Snow Slade MD

Fellowship Trained Cataract & Glaucoma Surgeon

Nicholas Behunin MD

Fellowship Trained Cataract & Cornea Surgeon

Marcos Reyes MD

Nathan Anderson MD

OphthalmologistCararact, Refractive and Glaucoma Surgeon

Fellowship Trained Cataract & Oculoplastic Surgeon

Joshua Terr y OD

Optometrist

Brett Richardson OD

Optometrist

Sherine Smith PA -C

Ophthalmic Physicians Assistant

Turn static files into dynamic content formats.

Create a flipbook
Issuu converts static files into: digital portfolios, online yearbooks, online catalogs, digital photo albums and more. Sign up and create your flipbook.