January/February 2023 Nugget

Page 1

A PUBLICATION OF THE SACRAMENTO DISTRICT DENTAL SOCIETY the January/February 2023 People You'll See Classes You'll Take Companies You'll Meet
Presented by Sacramento District Dental Society

Introducing the 3M™ Filtek™ Matrix.

Introducing the 3M™ Filtek™ Matrix.

The 3M™ Filtek™ Matrix is a digitally designed customized anterior matrix system. This new solution streamlines conservative, composite treatments – bringing a smile to you and your patients.

The 3M™ Filtek™ Matrix is a digitally designed customized anterior matrix system. This new solution streamlines conservative, composite treatments – bringing a smile to you and your patients.

Introducing the 3M™ Filtek™ Matrix. The 3M™ Filtek™ Matrix is a digitally designed customized anterior matrix system. This new solution streamlines conservative, composite treatments – bringing a smile to you and your patients.

The 3M™ Oral Care Portal is an open, web-based platform that helps you confidently deliver treatment:

The 3M™ Oral Care Portal is an open, web-based platform that helps you confidently deliver treatment:

� Diagnose and scan (or impress) patient’s teeth

� Approve the digitally designed restoration

The 3M™ Oral Care Portal is an open, web-based platform that helps you confidently deliver treatment:

� Use the Filtek Matrix

� Diagnose and scan (or impress) patient’s teeth

� Diagnose and scan (or impress) patient’s teeth

� Approve the digitally designed restoration � Use the Filtek Matrix

� Approve the digitally designed restoration

Big news in beautiful smiles.
3M and Filtek are trademarks of 3M Company. © 3M 2022. All rights reserved. Learn more at 3M.com/FiltekMatrix
Big news in beautiful smiles.
3M and Filtek are trademarks of 3M Company. © 3M 2022. All rights reserved. Learn more at 3M.com/FiltekMatrix
Big news in beautiful smiles.
3M and Filtek are trademarks of 3M Company. © 3M 2022. All rights reserved. Learn more at 3M.com/FiltekMatrix
Michelle Callaghan 3M Executive Revenue And Consolidation Specialist (415) 622-7461
The Nugget • Sacramento District Dental Society • www.sdds.org Awards International College of Dentists (ICD) 2022 • Humanitarian Service Award 2022 • Special Citation Award 2022 • Overall Newsletter, honorable mention 2021 • Platinum Pencil, honorable mention Outstanding use of graphics 2021 • Special Citation Award 2020 • Platinum Pencil 2020 • Golden Pen, honorable mention Article / series of articles of interest to the profession 2020 • Special Citation Award 2019 • Special Citation Award 2019 • Golden Pen, honorable mention 2018 • Humanitarian Service Award 2017 • Special Citation Award 2016 • Golden Pen, honorable mention 2015 • Special Citation Award 2014 • Outstanding Cover, honorable mention Nugget Editorial
Carl Hillendahl, DDS • Editor-in-Chief Denise Jabusch, DDS • Brian Ralli, DDS Gabrielle Thodas, DDS, MSD Karisa Yamamoto, DDS • Peter Yanni, DDS Editors Emeritus James Musser, DDS William Parker, DMD, MS, PhD Bevan Richardson, DDS Contents Jan/Feb 2023 VOLUME 69, NUMBER 1 5 President’s Message 6 Cathy’s Corner 9 From the Editor's Desk 11 You Should Know 34 Foundation 38 Event Highlights 40 Board Report 42 YOU: The Dentist, The Employer 43 Membership Update 46 Blowing Your Horn 47 Vendor Member Spotlight 48 Vendor Member Listings 50 Advertiser Index 50 Job Bank 51 Classified Ads 52 SDDS Calendar of Events Regulars We Can’t Build a Puzzle with One Piece Katrina Klein RDH, CEAS, CPT A Minimally Invasive Treatment Option for Post-Orthodontic White Spot Lesions Jeanette MacLean, DDS, DABPD, FAAPD Ten Minutes to Save a Life: Preparation of the Dental Office & Staff Stanley F Malamed, DDS Communication: Currency for A Successful Dental Practice Lisa Copeland, RDH, CSP, CVP Do You Want To Be Less Dependent On Insurance Companies? Dan Brown Manage Your Schedule - Manage Your Time – Go Out of Network Melinda Heryford What Makes the Ideal Office Manager - Or WHO? Melinda Heryford Human Trafficking Loren King, RDH 22 24 26 12 14 18 18 20 25 Exhibitors 32 Sponsors MidWinter Specials Specials 8 Letter to the Editor 10 Welcome the 2023 Executive Committee & Board of Directors 28 2023 Calendar of Events 30 Private Practice is Not Dead... 35 Welcome the 2023 Foundation Board of Directors 36 Welcome the 2023 Committee Chairs
Board

Get Ready For Our UPCOMING EVENTS

General Membership Meeting - In-Person

JAN 10

Tuesday • 5:45pm Social & Exhibitors

6:45pm Dinner & Program Hilton Sacramento Arden West • $80

10 on 10 PERIO: What Happened to that Implant? (3 CEU, Core)

Presented by Leland Lee, DDS; Matt Korn, DDS; Rosemary Wu, DDS, MS; Paul Binon, DDS, MSD and Navneet Arora, DDS, MPH, DABP

HR Webinar

JAN 24

Wednesday • 12-1pm and 1-2pm • Webinar • $69

Alternate Workweeks, Lunches and Breaks – Oh My! (1 CEU, 20%)

Presented by Von Boyenger, Sr. Deputy Labor Commissioner

This webinar will address the continuing questions about meal and rest periods, as required by the law (Labor Code section 226.7 & 512). Join in to discuss, ask your questions and get clarifications on mandatory breaks, the alternate workweek rules and overtime rulings. This one-hour webinar will be offered at two different times (continuing) - to better reach all the various office schedules.

CPR–AHA BLS Blended Learning

JAN 31

Tuesday • 6–6:45pm, 7–7:45pm, 8–8:45pm SDDS Office • $87.50

Skills Testing, 2 Time Sessions (4 CEU, Core)

FEB 28 HR Webinar

Tuesday • 10-11am • Webinar • $69

Wellness in

the Workplace ( No CEU)

Presented by California Employers Association

We are living in challenging times that are creating more stress, which often leads to BURNOUT. It’s time to take a closer look at how to stop burnout before it starts, and learn how to bring more Wellness into the Workplace. A successful Wellness Program is more than just offering a membership at a gym or yoga class offered at lunch. Wellness involves active engagement in the attitudes and behaviors that enhance the quality of life and personal potential for your employees.

General Membership Meeting - In-Person

MAR 14

Tuesday • 5:45pm Social & Exhibitors

6:45pm Dinner & Program

Hilton Sacramento Arden West • $80

Malpractice Stories: Risk Exposure, Prevention, Safety, and Empowerment (3 CEU, Core)

Presented by Michael Kowalski, DDS, JD

View all CE courses online with this QR code. Join us for Dental Day at Sutter Health Park! WEDNESDAY, JUNE
2023 Registration coming soon! Bring your staff, family, and friends to enjoy a fun night out of baseball at our own Sutter Health Park
28,
4 | The Nugget • Sacramento District Dental Society

Bring your whole team for team bonding and to hear local and world-renowned clinicians, educators and management experts.

Message CONTESTS! • RAFFLE PRIZES! DRINKS ON THE COURSE! GOLF SOUVENIRS!
Swing for Smiles ANNUAL GOLF TOURNAMENT
President's
Join us to support the SDDS Foundation on May 12th at Ancil Hoffman Golf Course! All proceeds bene t the programs funded by the Foundation
www.sdds.org • January/February 2023 | 5

Cathy's Corner

Here we are, January 1st, 2023! We have our entire year planned with CE, Business Forums and all of our programs; we are so proud of the great opportunities and options we have for our members and their teams. And, of course, MidWinter Convention continues to be a wonderful CE option and team building event – there’s still time to sign up but, please, do it soon.

If you look at the center pages of this issue of The Nugget, you’ll see our program for the year. Not included (yet) are all the “Fun of the Month” events, to be announced in later January: one event each month that is strictly fun – a great way to meet people. Some will include family events, and other events for fun times for everyone. January’s FOTM event is Frozen with more than 100 SDDS members and families attending. If you have an idea for fun things to do, please email me and let me know your suggestion. Coming soon: Cooking School Dinner, Picnic in the Park, Dim Sum brunch and many more in the works.

Finally, I want to thank our SDDS Team for all their hard work this past year. While we were a bit short-staffed with some staff members leaving to work from home and for other opportunities, we welcomed Katie Marshall in March. She’s doing a great job with membership - thank you, Katie! And thank you to Jessica who does an awesome job with the Nugget and many design and theme projects – her ideas are amazing and we are proud that she lends her talent to our team. To Anne, our office manager, registration guru, and member service “pro,” she always balances to the penny and makes our lives smooth. Thank you, Anne! And finally, to Sofia… her work with our Foundation projects (SFK and SFBK) and all her CPR expertise is part of what makes our phones ring all day long! Thank you Sofia, for your wonderful bi-lingual talents and patience with our callers. The dedication of these terrific ladies has made my job smoother, so exciting and much easier this past year, all while coming out of Covid restrictions and challenges, pivoting projects, and moving forward to the successful year we have had.

We are so pleased to welcome (back) our new Director of Operations, Della Yee! Della was my first hire in October 2001 and she accepted a new opportunity in 2014 and we have missed her ever since. I’m so glad that she has returned to be part of our team – welcome Della! We’ll all be at the January General Meeting so we hope to see you all then!

LEADERSHIP

President: Lisa Dobak, DDS

Immediate Past President: Wesley Yee, DDS

President Elect/Treasurer: Ash Vasanthan, DDS, MS

Secretary: Nima Aflatooni, DDS

Editor-in-Chief: Carl Hillendahl, DDS

Executive Director: Cathy Levering

Craig Alpha, DDS Eric Grove, DDS

Lisa Laptalo, DMD

Viren Patel, DDS

Kart Raghuraman, DDS Jeff Sue, DDS

Chirag Vaid, DDS

Guest of the Board: Ashleigh Areias, DDS

Guest of the Board: Andrea Cervantes, DDS

CPR: Margaret Delmore, MD, DDS

Membership/Engagement: Ashleigh Areias, DDS/Sarah Mathai, DDS

Nominating/Leadership Development: Wesley Yee, DDS

GMC Transition: Kevin Keating, DDS, MS Budget & Finance Advisory: Ash Vasanthan, DDS, MS Bylaws Advisory: Volki Felahy, DDS/Wesley Yee, DDS

CE Advisory: Eric Wong, DDS

Strategic Planning Advisory: Ash Vasanthan, DDS, MS/Nima Aflatooni, DDS

Foundation: Carl Hillendahl, DDS SacPAC: Gary Ackerman, DDS

Cathy Levering | Executive Director

Della Yee | Director of Operations

Sofia Gutierrez | Foundation Projects / CPR

Anne Rogerson | Office Manager

Jessica Luther | Graphic Designer

Katie Marshall | Adminstrative Assistant /Membership

EXECUTIVE COMMITTEE BOARD OF DIRECTORS

COMMITTEES STANDING TASK FORCES ADVISORY COMMITTEES SPECIAL

EVENTS OTHER

STAFF

The Nugget is an opinion and discussion magazine for SDDS membership. Opinions expressed by authors are their own, and not necessarily those of SDDS or The Nugget Editorial Board. SDDS reserves the right to edit all contributions for clarity and length, as well as reject any material submitted. The Nugget is published monthly (except bimonthly in June/July and Aug/Sept) by the SDDS, 2035 Hurley Way, Ste 200, Sacramento, CA 95825 (916) 446-1211. Acceptance of advertising in The Nugget in no way constitutes approval or endorsement by Sacramento District Dental Society of products or services advertised. SDDS reserves the right to reject any advertisement.
Send address changes to SDDS, 2035 Hurley Way, Ste 200, Sacramento, CA 95825. A New Year, A New Start, and A New SDDS Team Member! Save the Date: February 16-17, 2023 * 42nd Annual MidWinter Convention & Expo 6 | The Nugget • Sacramento District Dental Society
SDDS
Postmaster:

SDDS Member Benefits?

SDDS has many great member benefits that we provide to all of our members! Are you utilizing them all? We offer an exclusive SDDS HR Hotline number, a Job Bank, patient referrals, and much more! Read below to learn more about the benefits you may not have even realized you have already!

SDDS HR Hotline

Exclusive number FREE to SDDS members!

The California Employers Association provides SDDS with a exclusive HR Hotline number for our SDDS members! You are a dentist, but you’re also an employer. Employee evaluations, hiring and firing, labor laws and personnel files are an important part of that! Call free with all of your burning HR questions.

The Nugget

SDDS’ award-winning monthly publication!

SDDS HR Hotline: 888.784.4031

DOZENS OF CONTINUING EDUCATION COURSES

Read past issues digitally on the SDDS website!

SDDS JOB BANK FOR DENTIST POSITIONS

Do you use the SDDS JOB BANK? It’s also in this issue of the Nugget (see page 50) and in a spreadsheet upon request from our office.

If you are looking to hire a dentist, or be hired, or looking for a few extra days a week, our job bank is a great way to begin your search.

So Many Benefits at

Fingertips

Special Events & Fun Times

SDDS hosts special events throughout the year for you and your team! These events allow for our members to get to know one another and take place in the community! Hope to see you at an event soon!

• Annual Swing for Smiles Golf Tournament

• Dentists Do Broadway Series

The Nugget is our opinion and discussion magazine. It provides our members with information and helps encourage conversation among members. The issues cover a wide-variety of topics from feel-good Foundation stories, to clinical information, practice management and much more! We do our best to provide you with courses of all types! From clinical hands-on classes, virtual HR webinars, CPR, practice management, mandatory licensure renewal courses, and more, we have a course for everyone! As an SDDS member you also receive special pricing, nonmember dentists actually pay double for our courses! Yay for savings! Patient Referrals

• Dental Day with the River Cats

• Shred Day

• and Many More!

Discounts
Community of Dentists
TDIC Insurance (through your CDA Membership) Front Office Courses
Dinner at The Kitchen
MidWinter Convention • ADA and CDA Toolkits SDDS Foundation (includes Smiles for Kids and Smiles for Big Kids) • Member Online Link Practice Support (through CDA’s Practice Support Center) • Advocacy and Legislation • Fun Events Complimentary Classified Ad Each Year • Discounted Advertising •
from our Vendor Members
www.sdds.org • January/February 2023 | 7
Your
Make the most of your SDDS Membership by utilizing your benefits!

I wish to correct the context in a statement contained in my article “State of Today’s Private Practice” in the November/December issue of The Nugget. Some edits were made with regard to my comments on Delta Dental.

In my “Exiting Dentist” Case (the first Marketplace Example), the text stated: “Delta Premier Practice collected $1,200,000 in 2021. EBITDA was $510,000; priced at $550,000 for a street sale due to the announced Delta reductions (estimated as being $155,000)…”

This text in red is an edited change and misrepresents my statement. I have not seen what changes Delta intends to make to Premier fees. Further, this statement implies the changes coming are going to be dramatic. I have no such knowledge. Here is what I know. Since April 2011, Delta has not allowed new GP network providers to become Delta Premier-only providers. Since April 2011, buyers of Delta Premier practices experienced

considerable reductions in the Delta fees per the PPO fees then provided post-purchase.

In my example, I had a DentaMetrix Analysis performed on the subject practice. It identified the income realized from all insurance companies including co-pays in 2020 and 2021. The DentaMetrix Analysis then identified all the procedures performed on Delta-insured patients in 2021 and the resulting charges per procedure. It then computed what those procedures would have been billed if the practice operated with a PPO fee schedule by using a Delta PPO fee schedule for the community the practice was located. The $155,000 reduction was not an estimate but clearly documented.

My draft stated: “Exiting Dentist Case Delta Premier Practice collected $1,200,000 in 2021. EBITDA was $510,000. Priced at $550,000 for a street sale due to the Delta haircut (estimated as being $155,000)…” my original wording

was edited from the adjective “ haircut” and changed “ due to the Delta haircut…” to “due to the announced Delta reductions…”

This implies something far different from my intended statement.

Thoughts on last month’s issue Dear Editor... (866) 232-7640 • BILLING.ADAMSDENTALCONSULTING.COM From the Editor: We apologize for this substitution 8 | The Nugget • Sacramento District Dental Society

From the Editor’s Desk

2023

Happy New Year

Welcome to the New Year, another annual cycle beginning. The last three have been rather challenging. We are evolving into a post pandemic era, observing the downstream effects of the policies and mandates our governments and COVID have imposed on Society. The angst of the epidemic is moderating as COVID is assuming an endemic status within the population. According to the CDC, the current variants circulating through the population are highly contagious, reinfecting the immunized and previously infected, but resulting in less severe infections and deaths. Life is returning to normal as the social constraints of the epidemic are relaxing.

At SDDS, meetings have returned to an inperson format with the option of attending some meetings via zoom and webinar. The zoom experience doesn’t even come close to social interactions and communing with colleagues in-person. Let us be thankful our 42nd Annual MidWinter Convention will again be in-person at the SAFE Credit

Union Convention Center in Sacramento, February 16 and 17.

This issue of The Nugget is dedicated to the MidWinter Convention. The CE Advisory Committee, which meets once a year, brainstorms and generates a list of topics and presenters who can speak on

All the articles within this issue were contributed by MidWinter Presenters and, if you like the subject matter, attend their presentation at MidWinter.

I have attended every MidWinter Convention since I joined the Society many years ago. I have a great time attending CE of interest to me and visiting exhibitors on the expo floor and catching up with colleagues I haven’t seen in a while. My staff also enjoys the experience of CE and communing with peers at the Convention.

those topics that would be of interest to our members. Using the list generated by the committee, SDDS staff reaches out to speakers to populate the MidWinter Convention Program. We need to thank the CE Advisory Committee and SDDS staff for the effort and success of the SDDS MidWinter Convention program.

The SDDS Nugget Editorial Committee encourages all members to join us at this 42nd Annual MidWinter Convention. Bring your staff as well. We have a great lineup of speakers and CE topics for both the doctor and the staff. Please come and celebrate our profession.

Life is returning to normal as the social constraints of the epidemic are relaxing.
www.sdds.org • January/February 2023 | 9

Welcome,2023 SDDS Executive Committee and Board of Directors!

Executive Committee

President Lisa Dobak, DDS SDDS Member since 1983

Immediate Past President Wesley Yee, DDS SDDS Member since 1978

Board of Directors

Craig Alpha, DDS

Oral & Maxillofacial Surgeon SDDS Member since 2006

Viren Patel, DDS BCR Representitive/Chair

General Practitioner SDDS Member since 1996

Chirag Vaid, DDS

General Practitioner SDDS Member since 2013

President Elect/Treasurer Ash Vasanthan, DDS, MS SDDS Member since 2009

Secretary Nima Aflatooni, DDS SDDS Member since 2011

APPOINTED/EX-OFFICIO

Carl Hillendahl, DDS Editor-in-Chef

Cathy Levering Executive Director

Ashleigh Areias, DDS Guest of the Board 2023

Andrea Cervantes, DDS Guest of the Board 2023

Eric Grove, DDS General Practitioner SDDS Member since 2010

Lisa Laptalo, DMD General Practitioner SDDS Member since 2007

Karthik Raghuraman, DDS General Practitioner SDDS Member since 2017

Jeffrey Sue, DDS Pediatric Dentist SDDS Member since 2000

Thank you! INTERESTED IN BECOMING AN SDDS LEADER? See the SDDS Nominating Form inserted in this issue of The Nugget!
...................................
............................................................

YOU SHOULD KNOW

MANDATED COURSE IN OPIOID PRESCRIBING AMONG C.E. CHANGES FOR DENTISTS IN 2023

Reprinted with permission from CDA

Updated 11/30/22: Opioid-prescribing course meets license-renewal requirement

The Dental Board of California approved the CDA course "Opioid Prescribing for Dentists: Pain Management, Addiction and Prescribing" for C.E. credit to satisfy the new license-renewal requirement.

10/20/22: Changes in continuing education regulations are coming for California dentists beginning January 1, 2023, including mandated C.E. that covers the responsibilities and requirements of prescribing Schedule II opioid drugs.

Dentists will be required to successfully complete 2 units of C.E. on opioid prescribing as a condition to renewing a license with the Dental Board of California. The new mandatory course is in addition to the courses in basic life support, California infection control and the California Dental Practice Act that are already required for license renewal.

A course created by Western University of Health Sciences in partnership with CDA will satisfy the C.E. requirement. Dentists will have other eligible courses to choose from. New approved course provider for required BLS course

Other changes in C.E. that will take effect January 1, 2023, are:

• A basic life support course taught by a provider approved by the American Safety and Health Institute will meet the dental board’s requirement for the BLS course.

• Professional ethics will be included in the required content of a board-approved Dental Practice Act course.

• Limited credit — up to 3 units — will be permitted for providing direct patient care as an unpaid volunteer at specified settings.

• The required units of C.E. for license renewal for retired dentists who are only in uncompensated practice will be reduced to 30 units.

Discounted opioid prescribing course for CDA members

California dentists can take “Opioid Prescribing for Dentists: Pain Management, Addiction and Prescribing” to satisfy the new C.E. requirement for license renewal. Created by Western University of Health Sciences in partnership with CDA, the course is eligible for 2 units of C.E. and is available to CDA members at a significantly discounted price as a benefit of membership.

The unique and engaging course format follows six fictional patients at six fictional dental practices over the course of a day. Through these six patient consultations, course attendees learn about the very different patient presentations they may encounter in their practice. The course ends with the dentists highlighting key points from the consultations.

Specifically, participants will learn:

• How to manage acute and chronic pain in the dental setting.

• The risks and identification of opioid use disorder.

• The practices and legal requirements for opioid prescribing and dispensing. Register through CDA Presents Online Learning for “Opioid Prescribing for Dentists: Pain Management, Addiction and Prescribing.”

If you missed out on the 2023 Labor Law poster, you can still order one at a member discount. Order yours today with the enclosed insert in this Nugget

REQUIREMENT TO QUARANTINE AFTER CLOSE-CONTACT COVID EXPOSURE ENDS FOR ASYMPTOMATIC WORKERS IN HIGH-RISK SETTINGS

Reprinted with permission from CDA Asymptomatic individuals who have a “closecontact exposure," which was redefined in the guidance, are not required to quarantine but should take specific actions regardless of their vaccination status, including testing for COVID-19 three to five days after the last exposure, continuing to wear a well-fitting mask around others as still required in health care settings, and staying home if symptoms do develop and testing for COVID-19 using an antigen test. If exposure occurred at work, Cal/OSHA requires the employer to provide for testing.

2023 CPR COURSES ANNOUNCED BRING YOUR STAFF! SEE PAGES 28-29 FOR FULL CALENDAR OF EVENTS

MEMBER BENEFIT –2023 LABOR LAW POSTERORDER NOW!
2023 DUES PAYMENT DUE JANUARY 1, 2023 www.sdds.org • January/February 2023 | 11
DID YOU RETIRE AT THE END OF 2022? LET US KNOW AS SOON AS POSSIBLE (EMAIL/CALL SDDS) & WE'LL CHANGE YOUR DUES BILL

The Things Oh!

You'll Learn!

MidWinter Convention & Expo • February 16-17, 2023

Communication: Currency for A Successful Dental Practice

THURSDAY

8:00am–9:30am • 1.5 CEU, Core

Embracing All Generations in Dentistry Today

Sponsored by Crest/Oral B

10:00am–11:30am • 1.5 CEU, Core

7 Tips to Rock Team Performance

Sponsored by Air Techniques

1:30pm–4:00pm • 2.5 CEU, 20%

Every Conversation Has Consequences

Sponsored by Crest/Oral B

The lifeline of our dental practice is communication.

Three pillars that conversations impact in dentistry are:

• Patients

• Players (Team)

• Practice

We are in the midst of a shift from productcentricity to people-centricity which requires a strong culture. Investments in our team members and patients are essential.

PATIENTS:

According to the Beryl Institute, the sum total of every touchpoint before, during, and after their appointment impact the patient experience.

These are four influencers of the patient experience:

1. Interactions of people, processes, policies, communications, actions, and environment.

2. Culture: The vision, values, team, and community

3. Perceptions: Everything is recognized, understood, and remembered by patients and support people.

4. Continuum of care: Every interaction with a practice or provider before, during, and after delivery of care.

Here are a few examples from each category as they relate to our practices.

Interactions

• (People) By using generational language and educational materials specific to patients’ generational values, we will establish trust and meet or exceed their expectations.

For example, you have introduced an implant treatment case to a baby boomer. Consider having a paper brochure for them to take home to review after the appointment. Most Gen X/Y/Z will want electronic/digital resources.

• (Communications) Consistent messaging and customized language for every team-to-patient interaction, insurance provider phone call, and referral connection is critical.

12 | The Nugget • Sacramento District Dental Society

Having specific processes and procedures in place that every team member knows, understands, and implements will not only impress your patients and referring offices, but it will also keep the follow-up process streamlined.

• (Actions) Active Listening is defined as the act of mindfully hearing and attempting to comprehend the meaning of words spoken by another in a conversation or speech.

How well we listen has a major impact on our job effectiveness and the quality of relationships with others. Active Listening involves all of our senses.

We listen to:

• Obtain information

• Understand

• Enjoy

• Learn

Given all the listening that we do, you would think we would be good at it! In fact, most of us are not. Research suggests that we only remember 25 to 50 percent of what we hear, as described by Edgar Dale's Cone of Experience.

By becoming better listeners, we can improve our productivity, and our ability to influence, persuade and negotiate. What's more, we can avoid conflict and misunderstandings.

Culture

• Include your entire team in the creation and continual pivoting of the practice mission statement and the vision of the business strategy. This creates a sense of ownership, loyalty, and team dedication. Engaged employees will do far more than they are asked if they are invested in the practice.

• A safe sense of belonging and community is important to all team members. Recognizing and rewarding people for their efforts creates a positive, engaged culture that will grow together for the good of the practice.

Perceptions

Perceptions vary according to the person, however, if we look at our practice as if we were a new patient, referred by a trusted colleague, what would we see? I suggest

you partner with a person in another department and have a re-con field trip at your next all-team meeting. Each team starts in the parking lot and walks through every experience the patient could have.

Here are a few areas to observe:

• Reception area

• Conversations overheard

• Patient bathroom

• Access to operatories

• Cleanliness/access

• Consultation area

• Marketing/Product placement

Researchers from NYU found that we make eleven major decisions about one another in the first seven seconds of meeting someone.

According to this study, the rest of our time is spent finding evidence to prove our original impression is correct. Whether that impression is true or not.

The importance of creating good first impressions is immeasurable when it comes to patient perceptions. A first impression is a lasting impression.

Continuum of Care

Look at the big picture of all the interactions the patient has with your practice.

• Have you answered all their questions?

• Have you provided resources and educational materials?

• Have you flagged them in your system to follow up?

• Did you provide “happy patient” referrals that have completed similar treatment in your office?

• Have you provided financial assistance information?

• Did you give them a (CTA) call to action?

TEAM:

When communication is not well defined or delivered, we become less impactful as a team.

A healthy practice requires Proactive Leadership. Not by one person but by each team member at any given time. Team culture is driven by “leading by example.” Culture encompasses the tangible actions

and beliefs of your team. It is the pulse of your practice!

Understanding that leadership is BiDirectional is the first step to creating a happy, engaged, and productive team! It links everyone together, no matter what role they play on the team, and will:

• Reduce Turnover – Individuals that feel appreciated for their knowledge support the practice.

• Improve Team Engagement - People will do more than asked if they feel valued.

• Increase Production - A team working cohesively and sharing the load will be far more productive than individuals working in silos.

PRACTICE:

Your brand is more than the high-level procedures performed. It is systemic and it trickles all the way down into the words we say and the communication “tools” we use. Your brand should speak the language of the patients you are trying to attract!

Every profession has its own language. This chart provides examples of how we can level up our vocabulary to represent the brand we are embracing and speak the patients’ language for better results.

Language is our currency and a bridge to trust!

Add this exercise to one of your team meeting agendas to create your office language together.

CONCLUSION

Communication is like cooking.

You take individual ingredients and blend them together to create a delicious dish.

The “ingredients” are the people we interact with your patients, your team, your vendors, and your family.

The “spices” are the way we customize the communication or the flavor.

The end result, the delicious dish, is a harmonious, successful team and practice.

www.sdds.org • January/February 2023 | 13
MidWinter Convention

FRIDAY

1:30pm–2:30pm • No CEU

Successful Tips on How to Attract More Fee-for-Service New Patients

2:45pm–3:45pm • No CEU How to Confidentially Drop Insurance Plans & Stay Profitable

Do You

Want

To Be Less Dependent On Insurance Companies?

Do you feel that being an in-network provider with various insurance companies hasn’t panned out as originally expected?

THE PLAN: You were supposed to have signed up with all these plans, had your practice full of patients, and have plenty of income and profit to expand your practice and have the freedoms you hoped for. Lots of patients, all getting highquality family dentistry while taking advantage of their insurance. What a great idea! What a “win-win” scenario!

This was the plan.

But what happened?

Well, perhaps you are getting some new patients, but nowhere near where you need to keep busy and profitable.

And even if you ended up with a lot of new patients, it is likely that the fee schedules haven’t made the “profitability” aspect of this dream a reality.

You are not alone!

So, what do you do now? If you drop insurances, will there be even fewer patients? How will you pay the bills? How will you have enough to hire the staff you need?

This article is going to show you EXACTLY what you need to do. The process isn’t going to happen overnight, but literally thousands of private practice owners have done these steps and today are more feefor-service based practices—or are entirely fee-for-service.

You CAN win. You just need to do the following steps.

STEP 1: UNDERSTAND THE PROBLEM FULLY

While this article is not meant to come across as anti-insurance by any means,

the fact is that a private practice that is currently dependent upon insurances could be at great risk.

First, take your most commonly used insurance and get the number in your mind of what they pay out for a crown, for example. It could be $950. It could be $850. It could be $700. It could be much lower. But get that number in your mind right now and write in in here

Crown: $ ___________

Insurance Company: Great. Now write down what your practice’s NORMAL (full-price, fee-forservice) crown fee is. This could be $1,000. It could be $1,250. It could be $1,500. Whatever your fee-for-service price is, write it in here:

Normal (Fee-For-Service) Crown Fee: $___________

Now write down the difference between these two:

Normal (Fee-For-Service) Crown Fee minus Insurance Crown Fee for _______ Company: $

You should do this exercise on all of your insurance companies after reading this article, but let’s start with one insurance company and their fee schedule.

This is what it is costing you IN PROFIT for one crown to be a preferred provider of that insurance company. If a patient comes in who needs a crown, that difference is your “new patient acquisition cost.” Simply, in marketing, you pay a certain amount for a marketing campaign and get a certain number of people who respond to

MidWinter Convention
14 | The Nugget • Sacramento District Dental Society

that campaign and pay for the services or products. The cost is divided by the number of people gotten from that campaign and this is your “new client acquisition cost.”

If I paid out $20,000 for a marketing campaign, which got be 50 clients. $20,000 divided by 50 gives us $400/per client. The acquisition cost per client is $400. Simple. This is what you are paying when looking at your profit loss above. If your usual full fee for the crown is $1,500 and your insurance fee schedule allows for $900, your acquisition fee is $600.

HOWEVER…if that new patient needs 4 crowns, your acquisition fee just went to $2,400 because you lost $600 four times! Hence you see the potential problems here and now the true costs of being “in network” with an insurance-based private practice.

STEP 2: KNOW YOUR WORTH

What makes your practice different than a corporate chain? Why is “family dentistry” valuable to the patient? What level of personalize care and attention do they get when coming into your practice compared to somewhere like Aspen? These are important questions to have fully answered by both you and your team.

Read your positive reviews on Google (… and ignore your negative reviews for now – more on that later). Make sure your staff hear these at your morning meetings, reading a couple out loud every day.

Your personalized service and care is WHY YOUR PATIENTS KEEP COMING BACK. Your team’s love and care, attention to and handling of their concerns, the hundred things your team does to make their patient visits comfortable and personal are HUGE VALUE.

And speaking on the point above in #1, know what it costs to do what you do.

When I ask Doctor/Owners what it costs to deliver a crown, I see them add the lab cost and some supplies and am quickly given a number.

Nope.

What about time? “Oh yes, of course. My time and my assistant’s time. Let’s add that in.”

Nope.

What about the patient being received at reception and all the way through the practice on through to your Insurance Coordinator chasing up the claim? “Oh, right of course. Let’s add that in.”

Nope.

What about keeping the lights on, having phones, the 67 software subscriptions you pay for monthly, etc.? “Right. Okay. Let’s round that up and add that in.”

Nope.

What about your dental education? And the practice cost? And your continuing education? And the cost of taking your staff for training and having online training on clinical and also practice management, communication, etc.?

And NOW we are getting somewhere. This is where I see the lights go on – the important lights. The light inside the minds of some of the most caring, loving, professional, dedicated, self-sacrificing and passionate business owners I have ever worked with in the 32 years I have been a consultant and in the roughly 100 fields I have consulted in.

This crown that originally cost the practice $350, with the above factors included, is now seen to cost roughly $700. And the insurance company is paying out $800.

This is a $100 profit.

Yet, for a fee-for-service patient who is paying $1,300 for a crown there is a $600 profit.

This means that you must service 5 insurance crowns for every single fee-forservice crown.

If you are getting a new idea of how much you are worth in comparison to what you are being paid, we can move on to the next step.

STEP 3: MAKE A DECISION

Now is the time to decide if you want to steer your practice to be less insurancebased and more towards accommodating for fee-for-service type patients.

Don’t worry about the “HOW” right now. Just ask yourself if you want that. So? Do you want to?

If so, move to the next step.

STEP 4: EVALUATE YOUR PLANS

This is where we move into the tactical of “Okay – you have my attention. I want more Fee-For-Service patients and would like to phase out of being an insurancedependent private practice. What do I do?”

We lay this out in a step-by-step program and can get help you with this. But the short version is to evaluate which plans are you LEAST DEPENDENT on and which are the WORST in compensation and/or patient base. This is going to take a little looking. We don’t want to actually drop any plans yet before we do Step 5 below, but this is the time to start planning which plans you will shed first, then second, then third, etc. We will get rid of those that are least consequential and which will buy you more time to spend with the patients you like and want more of, and have the time to present more comprehensive treatment plans because your schedule isn’t packed with patients where you are not being paid what you are worth.

In coming out of most dental insurances, most practices will lose between 20% and 25% of the patients in that plan—assuming they do it right. The remaining will stick with the practice because they love the care and are not affected enough adversely financially to sacrifice this very personal relationship they have developed with their very special dentist and dental team.

We can also help by mitigating that loss and help our clients bring the loss down to 15% or even 10%. However, let’s stick with the

Continued on page 16... www.sdds.org • January/February 2023 | 15

worst-case scenario of 25%. Yes, you will lose patients. That said, your profitability will increase, your schedule will lighten, your team will be more patient-focused and the care levels will actually increase.

For this step, we are just looking at what insurance plan is the worst, then second worst, then third worst, etc. We will be dropping them in that order and surveying and adjusting as we go.

STEP 5: START CONVENTIONAL MARKETING BEFORE DROPPING ANY PLANS

Here is where you need to potentially move out of your comfort zone. Currently, your patients are coming from insurance companies, referrals, and the occasional walk-in. If you don’t have conventional marketing in place (paid Google Ads, direct mail, optimized online listings, etc.) then we need to get these marketing channels rolling and tested before we make any moves.

We teach our clients what that means at our interactive, online 2-day New Patient Workshop (www.newpatients. net) where we even offer a 100% money back guarantee for up to 6 months after doing this workshop if our clients are not satisfied with the results. Nothing to lose and everything to gain. Here, you learn about how to market, tracking marketing results, calculating return-on-investment for each marketing channel, where to start, things that are fast and inexpensive all the way through to advanced marketing if you are already on your way.

However you do it, get marketing channels in place, tested and working BEFORE you start shedding plans!

STEP 6: BEGIN SHEDDING PLANS

BASED ON “WORST TO BEST”

Once Marketing is working and you know it is because you are tracking return-oninvestment on your marketing channels, we are now going to take the worst plan (found above) and drop that plan. There are some EXACT do’s and don’ts for this:

1. DON’T send out a notice to all your patients in that plan, letting them know you are no longer in network. They commonly don’t understand what “in network” means and will think you no longer accept that insurance at all, which is not true! You will help them with the claim and maximize their benefits. So DO NOT send a blanket notice.

2. Not doing the above means you will need to handle that patient communication at some point, and we can guide you through this process more thoroughly. However, the broad strokes include:

• DO get your team briefed on coming out of the plan and what that means for the practice.

• DO get your team briefed and trained on handling patients when speaking with them prior to their scheduled visits. Again, we have step-by-step tutorials on this, but your team will need to be honest and up front, while also explaining that the limitations to quality care by being in-network with their insurance company was a sacrifice your office was not willing to make, that their routine visits will most likely be fully covered, and that any treatment they need if they do need treatment will be explained with them before going forward and any finances will be explained at that time for them to decide.

• DO get your team ready with scripts for drilling (role play) patient scenarios for phone call questions, in person questions, etc.

3. Pull the plug on the worst plan!

4. Watch for results. Survey your team of the good, the bad and the ugly. Know that one or two patients making noise will make it seem like “Everybody is saying this...” If you hear that, ask for what patients specifically and exactly what each said. Get the one, two or even three that really caused a stink and find

out if this was handled correctly or not. Correct it as needed, but re-explain to your team that you WILL lose some patients, but the greater good of your patient base will benefit.

5. Once stable on the above, rinse and repeat the above steps “I – IV” on the next plans.

SUMMARY

The above can appear scary, and many dentists have never even entertained the idea of doing this out of either fear of consequences and/or fear of hurting feelings of patients, resulting in poor word of mouth and public image.

Breathe! We understand. We get you. We have been here literally THOUSANDS of times. Realize this is your first time, and the unknown is often scary.

To build up your confidence if you lose it during this process, revisit STEPS 1, 2 and 3 above. Do it as many times as you need, as often as you like and include your team in this as well. You owe it to yourself, and your great patients (and future patients) will love you for making time for the high-quality, highly personalized care you provide.

And we are here for you if you need. Reach out to me personally at danb@mgeonline. com if you have any questions. And if you are interested in learning more about marketing in our 2-day NEW PATIENT WORKSHOP, it is a live, online, interactive workshop that has helped thousands of practice owners just like you. Check it out at www.newpatients.net. Best of luck and wishing you success!

Continued from page 15... MidWinter Convention 16 | The Nugget • Sacramento District Dental Society

1Provider bundle billing: Providers will be paid the incentive for bundle billing an exam, cleaning and fluoride, ages 0-21+ on the same date of service (DOS)/claim. Providers will receive a $100 incentive (in addition to the 75% pay-for-performance increase) for each member claim received that meets the bundles listed below. Providers can receive the payment one time per member during this 12-month program from July 1, 2022–June 30, 2023.

Payout claim must include the following on the same DOS, ages 21 and over Payout claim must include the following on the same DOS, ages 0–20 Exam (0120 or 0150) Exam (0120, 0145 or 0150)

Cleaning (1110, 4341, 4342 or 4910)

Fluoride (1206 or 1208, based on age)

Tobacco counseling (1320)

Cleaning (1120)

Fluoride (1206, based on age)

2Provider outreach: The Plan will provide a recall report that contains a list of members that have not been seen within the last 6+ months (using/starting with February 2022 data, as incentive started in July 2022). If providers are able to contact these members and get them into the office for one of the performance measures listed in the provider alert, the provider will receive a $125 incentive for each member seen and billed (in addition to 75% plan performance increase). The incentive program period is from July 1, 2022–June 30, 2023.

Exam (0120 or 0150)

Cleaning (1110, 4341, 4342 or 4910)

Exam (0120, 0145 or 0150)

Cleaning (1120)

Fluoride (1206 or 1208, based on age) Fluoride (1206, based on age) Tobacco counseling (1320)

3Sealant incentive: The Plan will pay an incentive for each sealant (one per lifetime) placed on virgin teeth for children up to age 14. This incentive is in addition to the 75% ($22 SMA + $16.50 75% P4P + $11.50 incentive = $50 per tooth) plan performance increase. The incentive program period is from July 1, 2022–June 30, 2023.

4Coordination of care for high-risk members: A list of eligible members assigned to the providers office will be provided to conduct member outreach to increase periodontal services for diabetic members ages 65–85. Health Net will use medical data to educate and encourage utilization among our Health Net Medi-Cal Dental high-risk members with diabetes medical/dental integration. This incentive is Health Net’s PIP individual intervention.

Health

period. We encourage you to help make sure members get preventive care through awareness, access to care and educational outreach. If you have questions or would like more information, contact your local Network Manager at 800-268-9012. *Health Net of California, Inc., Health Net Community Solutions, Inc. and Health Net Life Insurance Company

subsidiaries of Health Net, LLC and Centene Corporation. Health Net is a registered service mark of Health Net, LLC. All other identified trademarks/service marks remain the property of their respective companies. All rights reserved.

Provider Bundle Billing incentive1 Sealant incentive3 Member Outreach incentive2 Adult Periodontal-focused Outreach Bonus Program4 Get Incentive Payments and Spread the Word: Tooth Decay is 100% Preventable! REWARDING REASONS TO ENGAGE AND PROVIDE QUALITY CARE TO HEALTH NET MEDI-CAL MEMBERS!
any of these rewards for reaching out to members to encourage office visits and performing preventive oral health services.
these incentives
12-month incentive
ADV830900EH01 (9/22)
Get
Take advantage of
during Health Net’s*
are
claim must include ONE of the preventive
codes
Payout claim must include ONE of the
codes
Payout
CDT
listed below, ages 21 and older
preventive CDT
listed below, ages 0–20
$100
$100 $11.25 $125 $100 www.sdds.org • January/February 2023 | 17
Net GMC/PHP Adult Periodontal Focused Outreach Bonus Program (1/1/2022–12/31/2022) CDT code Service description Bonus fee D1110 Prophylaxis/Adult
D4341 D4342 Periodontal scaling and root planning – four or more teeth Periodontal scaling and root planning – one to three teeth D4910 Periodontal maintenance

FRIDAY

7:30am–9am • 1.5 CEU, 20%

Manage Your ScheduleManage Your Time Sponsored by WEAVE

9:30am–11:30am • 2 CEU, 20%

What Makes the Ideal Office Manager? Or Who? Sponsored by CareCredit

Manage Your Schedule

Manage Your Time - Go Out of Network

A full and productive schedule day in and day out, who does this?

You do this by expertly managing your time, your team, and your backend systems.

Let’s say you end your workday with your schedule perfectly booked for the following day; beginning with an Invisalign start, followed by a mix of crowns and fillings, some seats, and hygiene is full …

You are at goal and feeling good … you sleep well. You start the next morning refreshed and ready to take on the day when you discover an overload of messages on the office answering device. Half the hygiene schedule has cancelled, a crown patient had an emergency and can’t come in. What do you do? Activate your “all hands-on deck” automated processes by mobilizing the team into action; blast text your openings with a schedule link, place calls to the patient lists which have

been prioritized by best patients to fill the opening. Everyone knows their role and executes quietly and seamlessly.

Would you like the benefit of streamlined systems supported by staff aligned with clear roles and responsibilities? Having ideal systems in place establishes the foundation to secure full and productive schedules day in and day out. Instituting smooth-running systems with team members who consistently follow through leads to the teamwork that creates the dream work. The goal is ideal days, ideal team members in specific roles with clarity and skill in knowing what to do and consistently following through. It is this type of structure and mindset that will allow you to take your practice to Fee For Service and Out of Network. If you want to experience more of this, join us at MidWinter “Manage Your Schedule, Manage Your Time” session. 

What Makes the Ideal Office Manager - Or WHO?

In a recent SDDS program we discovered that less than 15% of the owner doctors in attendance had an Office Manager.

Doctors, do any of these unplanned and unforeseen hurdles sound familiar?

“Doctor, I need to take 10 days off in two weeks to take care of my mom.”

“We have seven openings in hygiene tomorrow.”

“We can't see all these limited exams.”

“Two of our assistants called in sick this morning.”

“I noticed that we've missed making financial arrangements for a number of patients and they now have old balances.”

You may be experiencing bottlenecks, roadblocks, and impediments in your dayto-day operations. Who is at the helm to help you navigate and identify resolutions? If you are the CEO “Chief Executive Officer” of the practice, the question is who's filling the role of COO “Chief Operating Officer” or CGTD “Chief Get Things Done?”

The role of the CGTD is to be ever present, leading, managing, and holding all team members accountable for their roles and responsibilities. Do your various departments have clearly defined monthly goals, hourly production goals, new patient goals, collection goals, treatment acceptance goals? Would you like to establish a solid plan that is being expertly executed to ensure you are receiving

those five-star reviews weekly? Raise the bar by putting a Leader in place to hold team members accountable, to develop and oversee team member growth plans, and to identify champions for the systems that drive results, patient satisfaction and quality. And then enjoy the results … more free time, a more peaceful work-life balance, and financial rewards. Join us at Mid-Winter “What Makes the Ideal Office Manager” session so you can take the steps to fine tuning your operations.

MidWinter
18 | The Nugget • Sacramento District Dental Society
Convention

The Coleman & Barnes Group Malonn Barnes, AWMA®, CPFA®, CRPC® Financial Advisor

Merrill Lynch Wealth Management 555 Capitol Mall Suite 1400 Sacramento, CA 95814 916.648.6224 fa.ml.com/malonn.m.barnes

Merrill Lynch, Pierce, Fenner & Smith Incorporated (also referred to as “MLPF&S” or “Merrill”) makes available certain investment products sponsored, managed, distributed or provided by companies that are affiliates of Bank of America Corporation (“BofA Corp.”). MLPF&S is a registered broker-dealer, registered investment adviser, Member SIPC and a wholly owned subsidiary of BofA Corp.

Investment products: Are Not FDIC Insured Are Not Bank Guaranteed May Lose Value

The Bull Symbol and Merrill are registered trademarks of Bank of America Corporation.

The College for Financial Planning Institutes Corp. owns the service marks Accredited Wealth Management AdvisorSM, AWMA®, and the AWMA® logo, and the certification marks Accredited Wealth Management Advisor™, AWMA™, and the AWMA™ logo. The College for Financial Planning Institutes Corp. owns the service marks Chartered Retirement Planning CounselorSM, CRPC®, and the CRPC® logo, and the certification marks Chartered Retirement Planning Counselor™, CRPC™, and the CRPC™ logo. © 2022 Bank of America Corporation. All rights reserved.

MAP4264784 | AD-09-22-0316 | 470948PM-0322 | 09/2022

Our goal is to help you pursue yours. It’s that
simple.
At Merrill, we’ll help you get ready for the future with a financial approach that’s designed for you.
www.sdds.org • January/February 2023 | 19

FRIDAY

8:00am–10:00am • 2 CEU, Core What Does Human Trafficking Have To Do with Dentistry?

Sponsored in part by Dental Intelligence

10:30am–12:00pm • 1.5 CEU, Core Dental Hygiene Education, Performance and Productivity Sponsored in part by GC America

1:30pm–3:30pm • 2 CEU, Core

The Pandemic No One is Talking About: Sleep Apnea - The Global Killer Sponsored in part by Shofu

Human Trafficking

There’s this awful feeling in your stomach when you know you are not wanted. “I couldn’t believe how much I made in one night. I thought I could control what happened from there.” “He gave my family a computer and phones, my friends didn’t have those, so I felt proud.” “I just didn’t realize that the person I thought was helping me, and keeping me protected... he was really my pimp.” “I loved him, I thought he loved me, but then he started saying ‘rent’s not free’.”

THIS IS HUMAN TRAFFICKING

You and I are going to go on a journey together today. On this journey, I am going to give you a superpower: awareness. But first, I am going to tell you two real stories of two different humans.

Human #1 testimony: “I was sexually assaulted for the first time when I was 7 years old. He was an extended family member, someone I trusted. He said to me ‘say yes to whatever I’m about to ask you to do.’ So, I did. I was sexually assaulted for the second time when I was 21. Again, by a different extended family member. He helped co-sign one of my college student loans and asked me for a sexual favor in return. Being older and unfortunately having had experience in this type of trauma, I was able to talk my way out of that one. My parents were both alcoholics with severe depression and clinical anxiety. Both have now turned their lives around, but I am still currently in therapy for my childhood trauma bleeding into my adult life and being raised by parents with their own trauma. It isn’t their fault. They couldn’t be everywhere all the time and they did the best they could to raise a newborn at the ages of 17 and 21. I forgive the two men who sexually assaulted me. I am surviving every day, but I don’t think I’ll ever stop healing.”

Human #2 testimony: I am now going to share Mary’s story with you. Mary isn’t her real name, but this is her real story. Mary, at the young age of 12, was raped by 56 different men in 12 hours. By the end of it, her trafficker made $60,000 off her. She was eventually thrown out by her trafficker and sent back to her parents. She was getting “too old to sell.” Typically, around the teenage years, you are no longer considered a profit. So, you are either abandoned or killed. In an interview, her parents said, “we got her back, but we got her back damaged.”

Shortly after returning home, Mary committed suicide. Think about what she must have been going through mentally— even the man that trafficked her eventually gave up on her and abandoned her. After what had been done to her body, I can only imagine. There is a lot of shame that comes with trauma of any kind, especially sexual trauma. Not every human survives that shame. That is the reality we live in.

Professionals of dentistry, you might not realize this, but you are given the chance every day to be a hero. There are humans on this planet that need you to educate yourself to become aware. That is what I am going to teach you by the end of this article. So, stay with me right now, because we must start talking about the uncomfortable or we will always remain uncomfortable.

The facts: human trafficking is the fastest growing organized crime in the world. Even ahead of drugs. Why? Because you can sell one drug once, but you can sell one human up to 40 times in one day. That’s what the reported data tells us. Now I want you to think about cost.

An ounce of weed, good weed that is, (yes, I know it isn’t legal in every state yet, relax and stay with me) is going to run you about

MidWinter Convention 20 | The Nugget • Sacramento District Dental Society

$250. To sell a human being for sex is going to run you about $90. Unless you are being trafficked by someone who has a high rapport and sells you at around $1,000 for each violation, like Mary’s trafficker did. Even worse, if you get arrested for either of these crimes, selling drugs will keep you in prison ten-fold, compared to selling a human being.

Human trafficking, which involves the recruitment and exploitation of women, men, and children across or within national borders for the purposes of sexual, labor, and other forms of exploitation, is a serious human rights violation and an important public health issue.

The current estimates of people trapped in some form of Trafficking is somewhere between 20-40 million people— men, women and children. The number is so wide and vast because human trafficking is, by nature, a hidden crime.

75% of human trafficking and sexual assault cases are solved by ordinary citizens, not law enforcement alone. They can do this by knowing the signs and by taking a second look. Slow down and realize that it’s happening in plain sight all around you. However, you don’t know what you don’t know. That’s why I am here—to make sure you know. More facts: 26.9% of human trafficking victims each year visit their dentist. Unfortunately, only a few of them are rescued because of lack of awareness and education by dental professionals. 50% of injuries from abuse, which happens in human trafficking, are to the head and the neck. With trauma to the head being the most frequent cause of death. We are specialists of the head and the neck—we have the opportunity to be their heroes.

So, here is what to look for in the best way I can describe, without photos or videos.

Front office staff, when your patients walk in, be hyper-aware of their clothing and their hygiene. When reviewing their medical history, check for very vague history or no history at all, no government documents or forms of ID. Assistants and dental hygienists, when you are walking your patient back, watch their gait and how they are walking. When they sit in the chair, watch to see if it’s difficult for them to sit down. During your intraoral exam, look for petechiae—they are tiny clusters of purple, red or brown spots. Think of what a bruise looks like. They present after blunt force trauma and cause bleeding under the skin. In this case, concerning the examination of a child and their soft palate, it would mean looking for signs of forced oral sex. When taking x-rays, pay attention to the commissures at the corner of their mouth to check for any tears of the skin or bruising from being gagged or choked. If it’s hard for them to open, more light bulbs should start going off. Dentists, you have the biggest responsibility of all— you are the leader and decision maker for your team. Encourage them to feel comfortable enough to come to you and speak up, so that you can further assess and start making life-saving decisions. Look everywhere all the time, just like your team. Because it’s there, right in front of your eyes.

I want you to ASSESS; I never want you to ASSUME. When you assume, you’re risking creating a situation that didn’t exist or possibly being the cause of worsening the situation. I am telling you these certain signs so that little lightbulbs go off in your head to pay closer attention. To say to yourself, that doesn’t look right, or something feels off. Then I want you to start assessing and documenting in your notes like you are saving someone’s life. Because the reality is, you just might be.

Have a well-established procedure in place. Everyone in the clinic/practice should know the trauma- informed procedure. Know your local and state agencies and phone numbers.

I want you to please take down this number—pull out your phone to take a picture, write it on your hand, or even write it on someone’s forehead sitting next to you while reading this (you can tell them I told you it was necessary. Also, call me if you need bail money.) But seriously, this number could save a life: 1-888-373-7888, the National Human Trafficking Hotline. You can also text ‘INFO’ or ‘HELP’ to BEFREE (233733). I want you to have courage in your hearts, so remember what Margaret Reade said, “Never doubt that a small group of thoughtful, committed people could change the world. In fact, it is the only thing that ever has.”

One last thing – do you remember the testimony of Human #1? Well, that human is me. 

Sources:

Trafficking in Persons Report. Washington, DC: US Department of State; 2006.

https://www.endslaverynow.org/blog/articles/ human-trafficking-awareness-2022

ILO Global Estimate of Forced Labour: Results and Methodology.

Geneva, Switzerland: International Labour Office; 2012.

www.sdds.org • January/February 2023 | 21

FRIDAY

8:00am–9:30am • 1.5 CEU, Core Ergonomics in Dentistry

Sponsored by Lumadent

We Can’t Build a Puzzle with One Piece

We all want the easy solution – a single “thing” we can obtain with minimal effort and maximum results. The reason that mindset doesn’t work in dental ergonomics is because body pain and loss of function is most often a multifaceted problem with a multitude of solutions. Said differently, getting a single item in the ergonomic journey right can be PART of the solution, but not the entire thing. When we still have pain, we throw up our hands and accept that pain is part of practicing dentistry, when we just need more pieces to complete the puzzle.

In the dental world, we have a naturally awkward workspace. To keep from being injured we employ techniques and tools to help keep us in neutral posture. Some of those things are saddle stools, loupes with lights, indirect vision, and proper patient/ operator positioning.

When we fail in those areas and begin the injury process of cellular death, we then turn to treatment like chiropractic and physical therapy – or when the dysfunction is allowed to go too far, surgery! After getting varying degrees of results, we go back to doing the exact thing that we did before, only to find that the injury returns. This is the definition of insanity in case anyone is wondering…

The solution is to get to the root of the problem - HOW we work and HOW we

prepare our body for the job we are asking of it. We can start by using ergonomic strategies that help us to work clinically in neutral posture. But it doesn’t stop there. It’s also making sure that we have a strong foundation for the job we signed up for. Anyone who has leaned over a patient to see into the 3” dark space for 8 hours and leaves work exhausted knows full well that we don’t come to the table with adequate musculature without some strengthening. And it doesn’t stop there either! We have to stretch FREQUENTLY and properly. We need to use tools that help us to be efficient while promoting neutral posture. We must stay hydrated, well rested, and the list goes on.

We need to be ok with asking for help! We all have different struggles so it makes sense that our aches and pains are different as well. Having a coworker take pictures for a self-evaluation (when we don’t know we’re being watched) or getting coaching with an ergonomic assessment specialist are all part of having a successful ergonomic journey.

Taking just one piece of the puzzle can get some results but to get results with the greatest chance of long-term injury prevention and career longevity, we should utilize as many pieces of the puzzle as possible in the most consistent manner possible.

MidWinter Convention 22 | The Nugget • Sacramento District Dental Society
COMMUNITY CARES © 2022 Henry Schein, Inc. No copying without permission. Not responsible for typographical errors. Visit www.HenrySchein.com/HSCares to find out more about the Calendar of Caring Programs. Thank you for helping us raise over $2.5 million to help health happen! www.sdds.org • January/February 2023 | 23

FRIDAY

7:30am–9:30am • 2 CEU, Core

Be SMART: Silver Modified Atraumatic Restorative Treatment

Sponsored by Elevate Oral Care, DMG America and GC America

10:00am–12:00pm • 2 CEU, Core

Less is More: Minimally Invasive Cosmetic Treatment Options for Enamel Defects

Sponsored by Elevate Oral Care, GC America, and DMG America

A Minimally Invasive Treatment Option for Post-Orthodontic White Spot Lesions

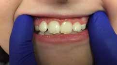
White spot lesions are a common problem following orthodontic treatment, with some studies reporting as high as a 97% prevalence. These unsightly marks can be a source of embarrassment for many patients. Some become disappointed when their attempts to camouflage the lesions by tooth whitening end up making the spots even more noticeable. Historically, these blemishes have been treated with invasive and costly resin fillings, bondings and veneers. Some active carious lesions may naturally reverse in the first few months following de-banding, a result of improved hygiene coupled with remineralization by calcium and phosphate present in the saliva. Unfortunately, many lesions do not reverse. Those that arrest remain white or even turn yellow or brown as they hypermineralize, or worse, some may progress to cavitated lesions. Icon Resin Infiltration represents a revolutionary treatment approach to managing these lesions in one quick, simple, and painless appointment.

Icon-Infiltrant , a highly fluid resin, penetrates deeply into enamel via capillary action which blocks the diffusion pathways for cariogenic acids and arrests the caries process. Further, the refractive index of Icon-Infiltrant mimics the surrounding enamel, creating the optical illusion of healthy enamel with uniform color and long-lasting results. This approach is particularly appealing for young children and adolescents, who are sometimes self-conscious about the appearance of their teeth or the target of teasing, since it can be done at a young age and will not reduce future bond strength. It is also an excellent option for adults who still bear the lingering enamel scars of orthodontic treatment in their youth, a time when perhaps their diet and hygiene was less than ideal. Other advantages include no shots or drilling, conserves natural tooth structure, and results are stable after whitening.

THE PROCEDURE

Using the Icon Smooth Surface Treatment kit from DMG, Icon-Etch (15% hydrochloric acid) is applied to the tooth surface for 2 minutes, twice, followed by Icon-Dry

(ethanol). Etching may be repeated, as needed, to achieve desired results. Results for stubborn spots may be enhanced by additional rounds of Icon-Etch and/or gently polishing the surface of the tooth. The tooth is then flooded with a highly fluid resin, Icon-Infiltrant, which penetrates deeply into the enamel microporosities via capillary action. After absorbing for 3 minutes, excess Infiltrant is removed and then the tooth is light cured. The Icon-Infiltrant is applied again for 1 minute, excess removed, light cured, and then finished with polishing disks.

CASE STUDY

A 9 year-old female patient, accompanied by her concerned mother, presented for a second opinion regarding severe enamel decalcification of her permanent maxillary incisors following 7 months of phase 1 orthodontic treatment. The mother was distraught by the damage to her daughter’s teeth and the prospect of costly and invasive fillings or even crowns, as suggested by a previous provider. The patient, now dentalphobic, was embarrassed to smile due to the extensive discoloration of her teeth. Icon resin infiltration was presented as a minimally invasive option to arrest the carious lesions and reverse the white spots, in addition to a thorough caries risk assessment, nutritional counseling, and oral hygiene instruction. The non-invasive nature of the procedure appealed to them, and she was treated at a subsequent visit with Icon. Her case involved rubber dam isolation, no local anesthesia, and 4 rounds of Icon-Etch, including polishing with a fine grit polishing disc after the 2nd and 3rd rounds of etch, to achieve the desired results. The mom was thrilled with the outcome and posted the following Facebook review, “this was the best decision I have ever made for my daughters teeth. They are so healthy and beautiful. She did a miracle on my daughter’s teeth. And I can say my daughter is so happy with the outcome and is happy to smile again.”

Before Icon treatment. Happy patient! After Icon treatment. MidWinter Convention 24 | The Nugget • Sacramento District Dental Society

MidWinter Convention & Expo • February 16-17, 2023

• 3M (Booth 518) dental products

• ABYDE (Booth 601) HIPAA compliance

• Access (Booth 500) dental managed care

• Adams Consulting (Booth 525) dental consulting

• Air Techniques (Booth 403) digital, utility, infection prevention

• Analgesic Services (Booth 608) medical gas services

• B & W Compliance Inc (Booth 502) safety /HIPAA compliance

• Banner Bank (Booth 113) banking

• Benco (Booth 116) dental merchandise/equipment

• Bisco (Booth 218) restorative materials

• BPE (Booth 419) legal services for dental practices

• Brasseler (Booth 104) restorative and endodontic procedural systems

• CA. Northstate University (Booth 609) dental school/Sac.

• California Dentists' Guild (Booth 203) retirement services and investments

• Care Credit (Booth 210) patient financing

• Carestream Dental (Booth 510) CBCT/RVG/DPMS

• Clear Correct (Booth 103) clear aligners

• Columbia Bank (Booth 109) financing and banking solutions for dentists

• Comcast (Booth 216) broadband/telecom/wireless/video services

• Crest / Oral B (Booth 523) oral home care solutions

• DDS Match (Booth 505) dental practice sales/associate placements

• Dental Intelligence (Booth 301) analytics/engagement

• Dental Masters (Booth 602) full service dental laboratory

• DentaQuest (Booth 405) dental insurance

• Desco (Booth 205) dental equipment sales, service, repair

• DMG (Booth 400) dental product distributor

• Elevate (Booth 401) dental supplies

• FADE (Booth 610) dental education

• First US Comm (Booth 611) commercial and business loans

• Fortune Law Firm (Booth 208) license & asset protection

• Fortune Management (Booth 411) executive coaching & practice management

• GC America (Booth 204) consumable dental materials

• Geistlich Pharma (Booth 504) leader in regenerative dentistry

• Haleon (GSK) (Booth 120) therapeutic OTC products

• Health Net (Booth 402) dental manage care plan

• Henry Schein (Booth 521) dental merchandise /equipment sales

• Humana (Booth 101) dental insurance

• IBS (Booth 603) innovation of minimally invasive implantology

• Integrity Practice Sales (Booth 119) dental practice sales

• Kerr (Booth 201) restorative , endodontics, rotary, total care

• Kettenbach (Booth 511) impression and resin materials

• Kids Care (Booth 501) dental offices

• Kuraray (Booth 515) dental supplies

• LIBERTY Dental Plan (Booth 404) dental insurance plan

• Lumadent (Booth 606) ergonomics/loupes/headlights

• Maxxeus (Booth 100) biologics

• MediCal Dental Program (Booth 200) state dental program

• Merrill Lynch (Booth 106) goal based financial planning

• MGE (Booth 111) practice management

• Mosaic Dental Collective (Booth 110) dental partnership group

• MUN CPAs (Booth 417) dental CPAs

• Neo Dental Lab (Booth 516) dental lab

• Nobel Biocare (Booth 122) implants, capital equipment, regen, and PPE

• NSK (Booth 112) dental handpieces

• Olson Construction (Booth 108) dental specific general contractor

• Onpharma (Booth 503) local anesthetic buffering

• Oroscoptic (Booth 118) loupes and headlights

• Patterson (Booth 509) dental supplies / equipment

• Phillips/Sonicare (Booth 124) power toothbrushes & whitening products

• PNC Bank (Booth 508) healthcare banking/lending/TM merchant

• Practice Pathways/Zions Bank (Booth 409) dental lender

• Professional Practice Sales (Booth 519) practice sales

• Provide, Inc. (Booth 512) dental lender

• Resource Staffing (Booth 114) dental staffing

• Ruiz Dental Seminars (Booth 513) hands on continuing education

• SD Reliance (Booth 604/605) dental billing and IT services

• Shofu (Booth 212) dental supplies

• Sierra Ridge (Booth 302) retirement plan, exit strategies, investments

• Star Refining (Booth 300) dental refining services

• Straumann (Booth 105) dental implant manufacturer

• Supply Doc (Booth 202) dental products/equipment

• Swiss Monkey (Booth 413) dental staffing / virtual front desk services

• TDIC (Booth 607) insurance services for dentists

• Thomas Doll (Booth 303) creating financial freedom, independence and peace of mind

• Tokuyama / Preventech (Booth 102) composite, bond materials

• Trek Financial (Booth 117) income protection/income replacement

• US Bank (Booth 600) banking

• Voco (Booth 304) German engineered quality dental materials

• Weave (Booth 305) patient communication/engagement platform

www.sdds.org • January/February 2023 | 25

THURSDAY

10:00am–12:00pm • 2 CEU, Core Ten Minutes to Save a Life Sponsored by HealthFirst

1:30pm–4:00pm • 2.5 CEU, Core ‘Hit Me With Your Best Shot’ Sponsored in part by Septodont

Ten Minutes to Save a Life: Preparation of the Dental Office & Staff

Medical emergencies can, and do, occur in the dental office. Anything – from fainting, to seizures, to cardiac arrest – have occurred. Though 75% of all medical emergencies are preventable through a comprehensive pretreatment medical evaluation of all patients, recognition and management of a patients fears (odontophobia), and adequate pain control (local anesthesia), some emergency situations will still arise, including allergic reactions, hypoglycemia, myocardial infarction, and cardiac arrest. The obligation of the doctor to the ‘victim’ of a medical emergency in a dental office is to try to keep the person alive until they either (1) recover, or (2) ‘help’ arrives on scene and takes over management – provided the ‘help’ is better able to manage the situation.

Preparation of the dental office and staff

(1) Basic life support (BLS) (P – C – A –B – D) training for ALL members of the office staff, chairside and front office, at the Healthcare Provider level. Recommendation is that ‘refresher’ or ‘renewal’ courses be taken annually, and that the course be taken in your dental office with the mannequin placed on the dental chair (YES, chest compression can be administered effectively with the victim on the chair), as well as the floor in the reception area. Additionally, all staff should be trained to ventilate using a full-face mask as healthcare providers are still required to be able to ventilate an apneic person.

(2) Office emergency team consisting of not less than 3 persons. Member #1 – the first person at the scene – administers whatever steps of BLS are indicated and activates the in-office team. Member #2 brings the ‘stuff’ to the scene, the ‘stuff’ being (a) emergency drug kit; (b) oxygen cylinder; and (c) the automated external defibrillator (AED). Member #3 is assigned other duties, such as (a) calling emergency medical services (EMS – 911); (b) assisting in management of the victim; (c) meeting the ambulance; holding the elevator; and escorting EMS to the office. Once the dentist arrives on scene, he or she directs the team.

(3) EMS should be summoned whenever the doctor thinks it is needed. It is a ‘feeling’ that (a) ‘I don’t know what is happening and want help’ or (b) ‘I know what is happening and am uncomfortable with it.’ In both situations EMS should be activated immediately. Nationally, time from receipt of a 911 call to arrival of EMS ‘on scene’ is approximately 10 minutes, thus requiring the dental office to be able to ‘try to keep the person alive’ for approximately 10 minutes. In rural areas, 25% of EMS response times exceed 19 minutes.

(4) Emergency drugs and equipment. Though only two states – Massachusetts and West Virginia – require all dental offices to have a prescribed list of emergency drugs and equipment, the package insert from all local anesthetic’s states that ‘resuscitative equipment, oxygen and other resuscitative drugs should be available for immediate use.’ The following table lists the ‘basic eight’ emergency drugs and items of equipment:

EMERGENCY DRUGS & EQUIPMENT

Drugs - the basic eight

Injectable

Epinephrine autoinjector Hstamine blocker (e.g. diphenhydramine)

Non-injectable

Oxygen ('E' cyinder + delivery apparatus & masks)

Bronchodilator (e.g. albulterol MDI)

Nitroglycerin sublingual tablets 'Sugar (e.g. Instaglucose)

Aspirin (powdered)

Naloxone (Narcan nasal spray)

Equipment

Automated external defibrillator

Pocket masks

Pulse oximeter

Proper preparation of the dental office can help to minimize the occurrence, and improve the outcome, of those emergencies that might arise. 

MidWinter Convention 26 | The Nugget • Sacramento District Dental Society

Nelson

B o r n a n d r a i s e d i n t h e B a y A r e a ( S a n F r a n c i s c o / O a k l a n d ) , N e l s o n h a s a c c u m u l a t e d a l m o s t a d e c a d e o f e x p e r i e n c e i n t h e w o r l d o f d e n t a l s a l e s a n d c o n s u l t i n g w i t h H e n r y S c h e i n . N e l s o n h a s b u i l t h i s r e p u t a t i o n o n h a r d w o r k , i n t e g r i t y , a n d o u t s t a n d i n g c l i e n t s e r v i c e a n d i s r e a d y t o h e l p y o u s e l l o r p u r c h a s e a d e n t a l p r a c t i c e .

“ Y O U C A N N O T G O W R O N G W I T H T H I S C O M P A N Y !

I t w a s a p l e a s u r e t o w o r k w i t h I n t e g r i t y a n d I w i l l f o r e v e r b e g r a t e f u l t o t h e m f o r u l t i m a t e l y s e l l i n g t h e p r a c t i c e d u r i n g a p a n d e m i c a n d f o r t h e a s k i n g p r i c e . " - D r A

" I f t h e r e i s e v e r t h e c h a n c e o f m e s e l l i n g a n o t h e r p r a c t i c e , I ' m c a l l i n g y o u . " - D r K

Reynolds
S A C R A M E N T O A R E A P R A C T I C E S A L E S A G E N T
O f
(
w
D R E #
#
( 5
n
www.sdds.org • January/February 2023 | 27
Y o u r B r o k e r w i t h I n t e g r i t y P r a c t i c e S a l e s
f i c e P h o n e :
8 5 5 ) 3 3 7 - 4 3 3 7
w w i n t e g r i t y p r a c t i c e s a l e s c o m
0 2 1 2 4 9 8 5 / I P S D R E
0 1 9 1 1 5 4 8
1 0 ) 5 0 1 - 1 9 5 9
e
l
s o n @ i n t e g r i t y p r a c t i c e s a l e s
.
c o m
C
a l l o r t e x t t o s c h e d u l e a C O N F I D E N T I A L , n o o b l i g a t i o n c o n s u l t a t i o n .

January - December 2023 CALENDAR OF EVENTS

10 on 10 PERIO: What Happened to that Implant?

Leland Lee, DDS; Matt Korn, DDS; Rosemary Wu, DDS, MS; Paul Binon, DDS, MSD and Navneet Arora, DDS, MPH, DABP

Tuesday • 5:45–9pm Social, Dinner & Program Hilton Sacramento Arden West • 3 CEU, Core • $80

Alternate Workweeks, Lunches and Breaks – Oh My!

Von Boyenger, Sr. Deputy Labor Commissioner

Tuesday • 12–1pm and 1–2pm • Webinar • 1 CEU, 20% • $69

CPR–AHA BLS Blended Learning Skills Testing, 3 Time Sessions

Tuesday • 6–6:45pm, 7–7:45pm, 8–8:45pm SDDS Office • 4 CEU, Core • $87.50 total

May

Wellness in the Workplace

California Employers Association (SDDS Vendor Member)

Tuesday • 10–11am • Webinar • No CEU • $69

May

Malpractice Stories: Risk Exposure, Prevention, Safety, and Empowerment

Michael Kowalski, DDS, JD

Tuesday • 5:45–9pm Social, Dinner & Program

Hilton Sacramento Arden West • 3 CEU, Core • $80

Compliance Day – Do You Have What You Need?

Dolan Williams; B & W Compliance, Inc. (SDDS Vendor Member) and Teresa Pichay, CHPC; California Dental Association

Friday • 8:30am–12:30pm • SDDS Office • 4 CEU, Core • $159

Dental Care During Pregnancy

Panel of Experts

Wednesday • 6:30–8:30pm • SDDS Office • 2 CEU, 20% • SDDS members free

Buy It, Build it, Lease it? Panel of Experts

Wednesday • 6:30–8:30pm • SDDS Office • No CEU • $75

May

Dinner with the Deans

Kevin Keating, MS, DDS; Nader Nadershahi, DDS, MBA, EdD and Michael Reddy DMD, DMSc

Tuesday • 5:45–9pm Social, Dinner & Program

Hilton Sacramento Arden West • 3 CEU, Core • $80

CPR–AHA BLS Blended Learning Skills Testing, 3 Time Sessions

Saturday • 8–8:45am, 9–9:45am, 10–10:45am SDDS Office • 4 CEU, Core • $87.50 total

OSHA: Safety Leaders Part 1

Nancy Dewhirst, RDH

Tuesday • 12–1pm • Webinar • 1 CEU, Core • $79

Build Your Fortress of Protection

Art McOmber: Sponsored by Fortune Law Firm (SDDS Vendor Member) Wednesday • 6:30–8:30pm • SDDS Office • No CEU • $75

Pearls in Our Backyard

Panel of Speakers

Friday • 8:30am–3pm • SDDS Office • 6 CEU, Core • $179

OSHA: Team Training Part 2

Nancy Dewhirst, RDH Tuesday • 12–1pm • Webinar • 1 CEU, Core • $79

May

Oral Pathology: From Pre–Cancer to Oral Cancer

Alessandro Villa, DDS, PhD, MPH Tuesday • 5:45–9pm Social, Dinner & Program Hilton Sacramento Arden West • 3 CEU, Core • $80

Infection Control

Leslie Canham, CDA, RDA Wednesday • 6:30–8:30pm • Webinar • 2 CEU, Core • $79

Embezzlement: Are You a Victim? How Do You Know? Christine Taxin Thursday • 6:30–8:30pm • SDDS Office • 2 CEU, 20% • $75

Insurance Coding & Billing; Navigate Your Practice to a Wellness Center

Christine Taxin Friday • 8:30am–12:30pm • SDDS Office • 4 CEU, 20% • $159

CA Dental Practice Act (Includes Ethics)

Leslie Canham, CDA, RDA Wednesday • 6:30–8:30pm • Webinar • 2 CEU, Core • $79

May

Harassment Prevention

California Employers Association (SDDS Vendor Member) For Employees Tuesday • 9–10am • Webinar • 1 CEU, Core • $49

For Supervisors Tuesday • 11am–1pm • Webinar • 2 CEU, Core • $69

May

CPR–AHA BLS Blended Learning Skills Testing, 3 Time Sessions

Friday • 8–8:45am, 9–9:45am, 10–10:45am SDDS Office • 4 CEU, Core • $87.50 total

May

Sleep Dentistry - Throwdown

Speakers TBA Tuesday • 5:45–9pm Social, Dinner & Program Hilton Sacramento Arden West • 3 CEU, Core • $80

10
24 31 28
14
17 22 29 11 April 15 18
January
February
March
19 21 25 9 May 17 18 19 24 13 June 18 August 12 September
28 | The Nugget • Sacramento District Dental Society

CPR–AHA BLS Blended Learning Skills Testing, 3 Time Sessions

Wednesday • 6–6:45pm, 7–7:45pm, 8–8:45pm SDDS Office • 4 CEU, Core • $87.50 total

Tales of the HR Hotline

Mari Bradford; CA. Employers Assoc. (SDDS Vendor Member)

Thursday • 6:30–8:30pm • SDDS Office • 2 CEU, 20% • $75

Surprise CE!

Surprise Speaker

Friday • 8:30am–12:30pm • SDDS Office • 4 CEU, Core • $159

May

Oral Sedation

Stanley Malamed, DDS; Sponsored by HealthFirst

Tuesday • 5:45–9pm Social, Dinner & Program

Hilton Sacramento Arden West • 3 CEU, Core • $80

Local Anesthesia

Stanley Malamed, DDS; Sponsored by HealthFirst Wednesday • 8am–12pm • SDDS Office • 4 CEU, Core • $159

Infection Control/ OSHA Refresher/ CDPA Nancy Dewhirst, RDH

Friday • 8am–1:30pm • SDDS Office • 5.5 CEU, Core • $179

Know Your Bottom Line: Controlling Your Overhead at 60% or Less

John Urrutia; MUN CPAs (SDDS Vendor Member)

Wednesday • 6:30–8:30pm • SDDS Office • No CEU • $75

Oral Conscious Sedation Recertification: DOCS

Anthony Feck, DMD; Sponsored by DOCS Education

Friday • 8:30am–4:00pm • SDDS Office • 7 CEU, Core • $599

Friday • 8–8:45am, 9–9:45am, 10–10:45am SDDS Office • 4 CEU, Core • $87.50 total

Speakers TBA

Tuesday • 5:45–9pm Social, Dinner & Program

Hilton Sacramento Arden West • 3 CEU, Core • $80

May

Harassment Prevention

California

May CPR–AHA BLS Blended Learning Skills Testing, 3 Time Sessions
Lasers in Perio – Point/Counterpoint
Employers Association (SDDS Vendor Member) For Employees Tuesday • 9–10am • Webinar • 1 CEU, Core • $49 For Supervisors Tuesday • 11am–1pm • Webinar • 2 CEU, Core • $69 20 21 22 10 October 11 20 25 27 10 November 14 12 December HR/ HP Webinars Business/Practice Mgmt. Forums CPR-AHA BLS Renewals General Meetings Licensure Renewals Continuing Education Special EVENTS January 12 Dentists Do Broadway - Disney’s Frozen Thursday • 7:30pm • SAFE Credit Union Performing Arts Center March 16 Dentists Do Broadway - Hairspray Thursday • 7:30pm • SAFE Credit Union Performing Arts Center May 3 Dentists Do Broadway - Pretty Woman Wednesday • 7:30pm • SAFE Credit Union Performing Arts Center May 12 Golf Tournament Friday • 7am • Ancil Hoffman Golf Course June 28 River Cats Wednesday • 6:35pm • Sutter Health Park December 1 Holiday Party and Silent Auction Friday • 6pm • Del Paso Country Club CONTESTS! • RAFFLE PRIZES! DRINKS ON THE COURSE! GOLF SOUVENIRS! Join us to support the SDDS Foundation on May 12th at Ancil Hoffman Golf Course! All proceeds bene t the programs funded by the Foundation Friday May 12, 2023 Swing for Smiles ANNUAL GOLF TOURNAMENT www.sdds.org • January/February 2023 | 29

Despite Chicken Little’s warnings that the “sky is falling,” the world did not end and she (more affectionately known as HennyPenny) and her friends Rooster-Booster, Ducky-Chucky, Goosie-Brucie and TurkeyPerky all lived happily ever after.

We have the power to create our own realities. Unfortunately, our filters sometimes have us believing things that are not true. Such are formed perceptions. Without further ado, let me put a fork to the belief that the end is coming to private practice. It is not! What is changing is how private practice shall survive and shall get stronger.

First, forces in your landscape:

1. Western Dental started in Los Angeles in 1903.

2. Dental Service / Support Organizations (DSOs) have been part of the oral healthcare delivery system for over two generations. Heartland Dental hit the beach in 1982.

3. Dental insurance is an expected employee benefit and is available for anyone who wishes to purchase it.

4. Dental insurance is a far different product than medical insurance.

5. Dental insurance benefits have not kept pace with the rising costs of providing oral healthcare services.

6. Delta Dental does not allow providers to play on a level playing field. DSOs are able to contract higher fees than those fees contracted by private practitioners.

7. Dentists have become a commodity.

8. Practices that bounced back from the COVID Shutdown had strong hygiene departments.

9. Owning and operating a practice requires considerable attention and dictates constant capital investments.

10. Being a W-2 / 1099 dentist makes one’s professional life easier to manage.

11. There is considerable pride and immense satisfaction standing behind something that has one’s brand stamped on it!

Study the Game Board. Focus on the enduser of your services. What consumer segment do you wish to serve? How can you attract and retain them? Focus on your product. Do you consider your services retail oriented or highly personalized and customized? Define who you wish to be. Strategize. Understand the advantages that stack in your favor. Here are two which forecast favorably for the future of private practice. The number of privately-owned practices shall be fewer and most dentists shall never own a practice. Understand that the number of DSO practices will always be growing. Determine how you can take advantage of this. Study human psychology and purchasing habits. What sectors do consumers seek purchase discounts, and what sectors do they consider making long-term investments with cost being a secondary consideration? Understand the power that “trust” forges and the appreciative value consumers place in being made to feel special and important. Realize that there are consumers with high dental IQs who understand the importance of maintaining their oral health and the impact that it has on their overall well-being. These consumers wish to be properly courted. Knowing this, how do you wish to play this Game?

Prepare yourself for this highly competitive landscape. Invest in yourself through constant CE. Improve your skillset and become more than a generalist. Dentists acquiring practices today have many arrows in their quiver and are properly prepared to walk their clinical hallways. Align yourself with skilled advisors, employ the best coaches and place some cheerleaders on your sideline. This is serious advice. Those who operate high-level successful practices did not get there on their own. You need to create a “best practice” mindset. Surround yourself with successful colleagues. Read

articles which help format you for operating a successful practice. Join a study group of successful practitioners. Determine that level you wish to operate at and then create the model which shall reward you financially for the investments you shall be making. Do not allow yourself to be victimized by the insurance industry. You can work 28-clinical hours a week treating 6-to-8 patients a day and make $250,000+ a year if you create the right model If you seek greater rewards, roll up your sleeves. This is America, the land of opportunity!

Pay close attention to your marketplace. Work on creating a competitive edge. Grow your brand. Upgrade your technology. Employ artificial intelligence. Outsource your Accounts Receivable so the front desk can concentrate on scheduling and spending more quality time interfacing with your patients. Carefully monitor the costs of acquiring supplies. Make sure you are properly coding procedures. Determine who your rock stars are and promote them! Create and maintain the right social media content that attracts the audience you seek. Improve efficiencies and determine where your focus needs to be. Monitor your recall / hygiene department. Work hard on retaining your patients as they are your best source for the new patients you seek. “Watches” shall eventually become scheduled work. As patients age, there shall be greater harvests to be realized. Employ a great front line in your practice as this point of contact sets the tone. Imagine yourself as an actor. Determine the audience you seek. Then set the appropriate stage.

If you are a General or Pediatric Dentist, realize the power you have as the gatekeeper. Capitalize on this! You control the procedure paths for your patients. Retain as many services as possible inhouse.

Regarding Delta, there should never have been the provider billing inequities which were created in April 2011 when new network providers were denied Premier-only status. The private club of Premier providers has

The Future of Dentistry
30 | The Nugget • Sacramento District Dental Society
Private Practice is not dead. It is simply evolving.

been slowly shutting down. Delta’s endgame has always been to eliminate their Premier product. It has taken 12+ years and litigation to get to the new announcement Delta shall be making for 2023. This shall be one more step for Delta to level the playing field for private practitioners. It is best to understand that this is the result of the growing costs of employer-paid benefits. Very simply, employers are not willing to pay the costs for providing the Premier product for their employees.

This in turn has been the spark for the quiet revolution that has been playing out. Many practices are now insurance independent. Others are working on their independence. This is the absolute best outcome for the enduser, the consumer.

Perhaps you operate in an area where you truly believe that going out-of-network would have dire consequences. A past client operated an out-of-network practice doing $1 Million/year with his working 20-clinical hours a week. The median household income in his service area was $40,000. I asked: “How are you able to do this?” He looked at me and simply stated: “I am worth it!” He had attitude! His practice had a very busy hygiene schedule and the staff knew they were the best compensated dental team in the area. He was constantly receiving resumes in the event an opening presented itself.

In closing, it is important that I outline that many insurance-dependent practices do perform well. The operating margins are tighter with a large percentage of the patients maintaining their oral health within the

parameters of their annual benefits. Sharp pencils are employed and the treadmill turns faster. Further, this operating model is on the same playing field as corporate providers who are able to contract higher Delta fees.

“What do you want out of your career? How will you handle your Game Board? Are you worth more? Do you have attitude?”

www.sdds.org • January/February 2023 | 31

Speakers Topics

Get lots of CE 2 Days 24 Speakers 38 Programs 160 Reps 7 Classrooms 80 Exhibitors Occlusion * Perio Workshop * Ridge Augmentation * Direct And Indirect Restoration * Composite Materials * Communication and Conversations * Rock Team Performance * Medical Emergencies * Grow Your Hygiene Business * Anesthesia * TDIC Risk Management Course * Assisted Hygiene * Infections and Pharmacology * Implant Success * Schedule Management * Innovations in Perio * Silver Diamine * Bioclear Method (EF Workshop) * Ergonomics * Oral Cancer * Human Trafficking And Dentistry * Office Manager Excellence * Managing Your Dental Practice * Enamel Defects Treatment * Dental Assisting Education/Professional Growth * Minimally Invasive Esthetic Rehabilitation * Dental Hygiene Performance/Productivity * Sleep Apnea * Products Update * Forensics * Insurance Independence in Your Office * OSHA Inspections * IT Security * Attracting More FFS Patients * Licensure Renewal Courses Thinga-ma-jigger Happy Hour Sponsor: California Northstate University Know Name Lanyard Sponsor: Swiss Monkey One Fish Two Fish Snack Sponsor: TDIC Stuff Enough? Bag Sponsor: INNOVA Periodontics & Implant Dentistry Whoo's Who Manual Sponsor: The Foundation for Allied Dental Education Think & Drink Cup Sponsor: Giannetti & Booms Orthodontic Specialists Grinchy Coffee Card Sponsor: Comcast Business Write Right Pen Sponsor: Capitol Periodontal Group Flower Sponsor: Star Refining 42nd Annual MidWinter Convention & Expo | February 16—17, 2023 Super Duper Speaker Sponsors Yummy in My Tummy Lunch Sponsors: Hatch the Egg Breakfast Sponsors: Bring on the Buzz Coffee Sponsors:
Fortune Management extraordinary practice. extraordinary life.
N. Ahmad, DDS Dan Brown
Callaghan, RDA
Copeland, RDH, CSP, CVP
Curley, Esq.
Dent, RDH, MPH
Hakim, DDS
DDS
RDH
Dean
Michelle
Lisa
Arthur
Julia
Foroud
Melinda Heryford Kyle Jones,
Loren King,
RDA
RDH
Krohn
Lynch, DDS
Donna Drury-Klein,
Katrina Klein,
Dennis
Steven
DDS
DDS
MS, DDS
Jeanette MacLean,
Stanley F. Malamed,
Matthew Milnes
RDA
Patel, DDS
Marcella Oster,
Viren
DDS
Mark D. Porco,
DDS, FAGD
Sison
DDS
DDS
Williams 32 | The Nugget • Sacramento District Dental Society
Jose-Luis Ruiz,
Christine
Ariane Terlet,
Tamir Wardany,
Dolan

CENTRAL VALLEY/MODESTO AREA: GP, 8 Ops, 20+Yrs Goodwill, Digital, 4 Hyg Days. Great location! 2021 GR $999K. #CA2721

ELK GROVE/SOUTH SACRAMENTO: 4 Ops Ortho Practice, 21+ Yrs. Goodwill, High Demand Area. 2021 GR $724K. #CA3250

FAIRFIELD/VALLEJO AREA: 7Ops+RE, Paperless, 43+Yrs Goodwill, 5 hygiene days/wk. 2021 GR $1.5M. #CA3117

GREATER MODESTO: 7 Ops, Digital, 15 Yrs. Goodwill, Desirable Area, Room to Grow! GR $614K. #CA3286

GREATER FAIRFIELD AREA: New Listing! 4 Ops+RE, 32+ Yrs. Goodwill, Paperless. 2021 GR $548K. #CA2955

GREATER LAKE TAHOE AREA: New Listing! 4 Ops, 37+ Yrs. Goodwill, Strong Hyg. Softdent PM Software. Projected 2022 GR $900K. #CA1715

GREATER MODESTO AREA: New Listing! 5 Ops, 20+ Yrs. Goodwill, 4 days of Hyg. Digital. 2021 GR $758K. #CA3329

GREATER MODESTO AREA: New Listing! 7 Ops+RE, 16+ Yrs. Goodwill, Dentrix PM Software. 2021 GR $758K. #CA2795

GREATER VACAVILLE AREA: New Listing! 5 Ops, 28 Yrs. Goodwill, High Demand Area. Must sell quick! 2021 GR $449K. #CA3328

LAKE TAHOE: 4 Ops, Digital Pano, 20+Yrs Goodwill, Paperless, Delta PPO practice with No Delta Premier. 2021 GR $1.4M. #CA3100

RED BLUFF/CORNING/ORLAND AREA: GP, 6 Ops+RE, 33+Yrs Goodwill, Paperless, Digital, 8 Hyg Days with room to grow! 2021 GR $825K. #CA316

SOUTH SACRAMENTO: 5 Ops, 73 Yrs Goodwill, Paperless, Hi-Exposure Retail location, Digital Pano, CEREC. 2021 GR $802K. #CA3093 location,

PRACTICE SALES VALUATIONS/APPRAISALS TRANSITION PLANNING PARTNERSHIPS MERGERS ASSOCIATESHIPS dental Practice Brokerage www.HenryScheinDPT.com 800-519-3458 NORTHERN CALIFORNIA OFFICE Henry Schein Corporate Broker #01233804 Jay Harter LIC #01008086 37YearsinBusiness 916- 8 812-0500 Jay.Harter@henryschein.com This is a sample of our listings. Jan/Feb 2023 Dr Thomas Wagner LIC #01418359 41YearsinBusiness 916-8812-3255 DrThomas.Wagner@henryschein.com • • • •• TEAM SACRAMENTO
www.sdds.org • January/February 2023 | 33

SDDS Foundation

Established in 2016, the SDDS Foundation began offering this scholarship to support our SDDS member dentists and their team members in the advancement of their skills and their careers. Dr. Kodama always felt that our Foundation should not only serve the community with its projects, probono care and education, but also support our member dentists in their practice by enhancing their clinical chairside professionals.

This scholarship is in partnership with the Foundation for Allied Dental

Education (FADE - a dedicated facility for the advancement of clinical chairside professionals). The FADE Foundation matches the SDDF contribution for the scholarship and provides all clinical instruction at their facility.

Originally and again this year, the scholarship is awarded to RDAs going forward to attain their EF certification. 20 inquiries and applications were received and reviewed – thank you! We are proud to announce that 3 candidates have received scholarship assistance and will begin their

Dr. Bev Kodama Scholarship awards for 2023! Smiles for Kids Day – we’re back! February 3, 2023

course work in January – congratulations and thank you to the SDDS member dentists who sponsored them.

The SDDS Foundation is PROUD to announce a new scholarship to support dental assistants seeking licensure in an accelerated program. Watch for the announcement, coming soon.

After a COVID hiatus, SFK will be back in action in February…

We are looking for dental offices and volunteers to open for the morning of Saturday, February 3rd to help us treat kids who don’t have insurance, who fall between the cracks, refugee children waiting for insurance options, and those who have experienced family ‘hard

times’. We also will be doing orthodontic screening to recommend ortho treatment for those who may not qualify for Medical Dental. See the enclosed insert to sign up!

And, PS… if you can’t open your office on February 3rd but want to adopt a patient – or two – let us know and we’ll find you a deserving patient!

Smiles for Kids ®
Andrea Cordero, RDA Sponsored by Dr. Darcy Kasner Brittany Crary, RDA Sponsored by Dr. Colby Smith
34 | The Nugget • Sacramento District Dental Society
Christina Joyce, RDA Sponsored by Drs. Stephanie Shore and Laurie Hanschu
Welcome,2023 SDDS Foundation Board of Directors! President Carl Hillendahl, DDS
President
Bellamy, DMD
Vice
Wallace
Treasurer
Kevin Keating, DDS, MS Secretary Nima Aflatooni, DDS
Nancy Archibald,
DDS
Margaret
Delmore, MD, DDS
Hana
Rashid, DDS Wesley Yee, DDS
DDS
Michael
O'Brien, DDS Gregory Heise, DDS Volki Felahy,
A Profitable Dental Practice Exit Starts with A Plan Buyers are Buying Lenders are Lending AR E YOU READ Y to TRANSITION YOUR PRACTICE? Call us for a complimentary conversation about… • Practice sales • Practice mergers • Dental partnership agreements • Associate placements • Dental o ffi ce appraisals • DSO sale prep./representation Roy Fruehauf, DDSmatch 1.855.546.0044 / 916.918.5752 roy@DDSmatch.com www.sdds.org • January/February 2023 | 35
Paul Binon, DDS

Ashleigh Areias, DDS

Membership/Engagement

SDDS Member since 2021

Sarah Mathai, DDS

Membership/Engagement SDDS Member since 2018

Margaret Delmore, MD, DDS

CPR SDDS Member since 1992

Wes Yee, DDS

Bylaws Advisory and Nominating Leadership Development SDDS Member since 2007

Eric Wong, DDS

CE Advisory SDDS Member since 1991

Gary Ackerman, DDS

SacPAC SDDS Member since 1987

Carl Hillendahl, DDS

Nugget Editorial Advisory SDDS Member since 2000

Volki Felahy, DDS

Bylaws Advisory SDDS Member since 2002

Ash Vasanthan, DDS, MS

Strategic Planning Advisory and Bylaws Advisory SDDS Member since 2009

Nima Aflatooni, DDS

Strategic Planning Advisory SDDS Member since 2011

Kevin Keating, DDS, MS

GMC Transition Advisory SDDS Member since 1981

........................................
Thank You!
2023 SDDS Committee Chairs!
Welcome,
Standing Committees Membership/Engagement Jan 11 • Mar 21 • May 16 • Sept 18 CPR Committee Jan 17 Nominating/Leadership Development Feb 6 Advisory Committees Continuing Education Advisory Feb 27 Nugget Editorial Advisory Jan 17 • Sep 20 Strategic Plan
TBA Budget and Finance
TBA Bylaws
TBA Legislative Advisory TBA GMC Transition
TBA Other SacPAC Fall CDA House of
Nov Leadership Board of Directors Jan 3 • Mar 7 • May 2 • Sep 5 • Nov 7 Executive Committee Feb 10 • Apr 14 • Aug 4 • Oct 6 • Dec 1 Foundation Foundation Board Mar 1 • Sep 18 2023 SDDS Committees Schedule
Advisory
Advisory
Advisory
Advisory
Delegates
36 | The Nugget • Sacramento District Dental Society

Working Dental Assistants

Achieving RDA licensure can be accomplished in less than 15 months and 1280 hours of work experience while still maintaining your work schedule.

The FADE Institute in El Dorado Hills DA-to-RDA Program will help you achieve your goals.

AFFORDABLE... ACHIEVABLE... TIMELY!

Meeting the needs of today’s dental assisting workforce.

As a dental assisting program approved by the Dental Board to instruct in the duties of registered dental assisting, The FADE Institute has, since 2016, committed to ensuring all students who graduate achieve licensure immediately upon completion. We believe the intent of an approved RDA program is to graduate RDAs ready and capable of legally performing all the duties and functions the dental team needs within our community.

Our RDA program is now an open-entry, modular program meant for the working dental assistant – hybrid learning coupled with on-campus didactic, lab and simulated clinical in a weekendbased formal education environment, allows the working assistant to learn the theory behind clinical care concurrent to achieving clinical competency in a workplace setting. By graduating from an approved RDA program, your path to licensure can be achieved in as little as six months.

For more information, please contact The FADE Institute: office@thefade.org 916.358.3825

www.sdds.org • January/February 2023 | 37

Check Out Our RECENT EVENTS

Holiday Party & Silent Auction

SDDS Team Building

The SDDS team spent a few hours team building and taking a cooking class at Napoli on Fulton Ave. They made minestrone, chicken marsala and canolis; it was so much fun!

November General Meeting

Dr. Jonathan Szymanowski brought so much IT knowledge, experience and advice to the November GMif you didn't make it, you really missed out!

Polar Express

SDDS members, vendors and their friends and family had a fun evening at Del Paso Country Club for the annual Holday Party and Silent Auction. The Silent Auction raised $35,000 for the Foundation!
38 | The
Several SDDS families embarked on a night of magic on the Polar Express in early December. It was a very special evening for all!
Nugget
Sacramento District Dental Society
AM Best Company rating effective February 2022. For the latest rating, access ambest.com. Protecting dentists. It’s all we do. ® At The Dentists Insurance Company, our name is our promise. Practice with the confidence that you’re covered by TDIC, and our singular focus is you. Unique understanding of dentists’ needs Unmatched experience and proven expertise Earned dental association endorsements Comprehensive coverage at a fair price Rated A by AM Best for 28 years in a row See the difference at tdicinsurance.com. @TDICinsurance | tdicinsurance.com | Lic # 2361-4 Endorsed by the Sacramento District Dental Society www.sdds.org • January/February 2023 | 39

Board Report

November 1, 2022

Highlights of the Board Meeting

CORE VALUES: Community – Integrity –Service – Engagement

President Call To Order and Welcome

Dr. Yee called the meeting to order and thanked everyone for their efforts at the strategic planning retreat - we have a great strategic plan and we’re excited for the years going forward. Dr. Yee thanked the Board for a great year. Notably, he thanked Drs. Hinton and Keating for their four years of service on the Board.

Secretary’s Report

Dr. Vasanthan presented the October membership report and stated that we continue to keep the market share above 80% and are on target for 100 new members this year – our goal.

Treasurer’s Report

Dr. Dobak presented the financials and stated that, overall, we are in great shape, even though the market is trending low. In comparing the market trend, our investment income is only down 9% this year. The general consensus was not to make any changes to our investments and to stay the conservative course.

Committee Reports

• Nugget Advisory: Dr. Aflatooni reported that Dr. Carl Hillendahl has accepted the position of Editor in Chief and will chair the Committee. Everyone in the room applauded.

• Other committees have finished their work for the year.

New Business

• Strategic Plan – final plan was approved by the Board and will be implemented in 2023.

• Dr. Jeff Sue gave a summary of how the Board Retreat was conducted. Everyone appreciated Cathy for “running the show” in such a precise and efficient manner and everyone applauded her for her tireless work yet again to help the committee come together and work on creating the strategic plan and the mission and vision of the SDDS.

• Approval of action items:

1. Mass Disaster/Forensics Advisory committee put on hold (but we will have a CE program each year; Dr. Porco will still advise us)

2. Oral Health Advisory committee – meet with County reps when needed; they are all still trying to come back from COVID; SDDS will keep in contact with all County contacts – this is now a staff responsibility

3. Membership / Engagement Committee – bringing back this as a standing committee with subcommittee topics within this committee – this will be a large committee with lots of people for input.

4. Guests of the Board for 2023 – Dr. Andrea Cervantes and Dr. Ashleigh Areias were appointed to be the guests of the board for 2023.

5. Board vacancy – Dr. Lisa Laptalo was appointed for a one year vacancy.

6. Committee Chairs – Dr. Dobak discussed her chair appointments; all chairs agreed and were approved and thanks to all for volunteering.

Board of Component Representatives (CDA

BCR)

Dr. Viren Patel, the current elected Board of Component Representatives Chair, has been elected to serve as chair again in 2023.

Executive Director’s Report

MidWinter Convention and Spring program – all will be great; please attend!

Adjournment

The meeting was adjourned at 8:27pm

Next Board meeting: January 3, 2023 at 6pm

40 | The Nugget • Sacramento District Dental Society
Dental Building for Sale Lease or Move in 2900 Cold Springs Rd, Placerville Ca 95667 3200 + Square Feet 7 Ops, Gorgeous Waiting Room, 4 bathrooms, lots of easy parking,and room on the lot for expansion or another Building., Great location near Home Depot and food and OMV. Decades of good will as a dental office in town, easy access location Available April 2023 or most likely before. Contact Dr Dean K Sands DMD Call: 530-305-5000 or Email: drdksands@gmail.com Target price is $620,000 or Divided $400,000 for building and $220,000 Leasehold Improvements OWC if needed. Lease $1.00 per sq foot/plus Insurance/Taxes combined or separate comes to approx $1.29 I sq foot If you have ever considered moving to or in Placerville/ this is an incredibly easy opportunity, don't miss out.... www.sdds.org • January/February 2023 | 41

To Help!!

You are busy trying to run your business, let us help you deal with your HR concerns! You are not alone in having lots of HR questions and the HR Hotline is your go-to resource to assist you with the issues that come up every day!

The SDDS HR Hotline started over fifteen years ago and since that time, we have received more than 5500 calls from SDDS member dentists. We know that ever-changing regulations, wage and hour issues, employee relation concerns as well as COVID have presented so many challenges for your office. The SDDS HR Hotline, powered by CEA, the California Employers Association, is here to help you with the big questions that keep you awake at night, as well as the everyday questions.

There are always tricky situations that arise regarding discipline, vacation and sick leave issues and even worse, scary letters from the EDD or the Labor Commissioners office. We can help you with best practices so you don’t have to write a big check to the Labor Commissioner for mispayment of wages or a wrongful termination claim.

You can contact us Monday through Friday, from 8 am to 5 pm at 888-784-4031 or via email at ceainfo@employers.org. Be sure to visit our website at www.employers.org to access our newsletters, read out latest blog post, find links to HR checklists and find out about our great webinars and online training classes for you and your staff. CEA is here to bring you peace of mind and to help make you a better employer. Give us a call today!

2022 Summary of Hotline Topics (as of 12/13/22)

Upcoming HR Webinars

Presented by CEA

One hour online and audio seminar, you will only need a telephone, cell phone and/or computer (computer not required). All you need to do is dial, listen and ask questions if you desire. Sign up online at sdds.org.

Wellness in the Workplace

Wednesday, February 28th • 10-11am No CEU

We are living in challenging times that are creating more stress, which often leads to BURNOUT. It’s time to take a closer look at how to stop burnout before it starts, and learn how to bring more Wellness into the Workplace. A successful Wellness Program is more than just offering a membership at a gym or yoga class offered at lunch. Wellness involves active engagement in the attitudes and behaviors that enhance the quality of life and personal potential for your employees. People who are engaged in both their work and their personal life are happier and more productive overall. This session explains the effect stress and burnout have on people and companies. It offers ideas on how to implement a simple and effective Wellness Program that will engage and inspire employees in your workplace.

YOU THE DENTIST, THE EMPLOYER YOU ARE A DENTIST. You are also an employer. Employee evaluations, hiring and firing, labor laws and personnel files are an important part of that. This monthly column, will offer current employment law information pertinent to you — the dentist, the employer. SDDS HR Hotline NEW EXCLUSIVE NUMBER FREE TO SDDS MEMBERS! 888.784.4031 MEMBER BENEFIT!
The SDDS Human Resource Hotline – Here
UPCOMING HARASSMENT PREVENTION TRAINING WEBINARS June 13, 2023 For Employees 9–10am For Supervisors 11am–1pm December 12, 2023 For Employees 9–10am For Supervisors 11am–1pm 6% 12% 2% 12% 4% 2% 12% 2% 15% 8% 1% 14% 10% Benefits Employee Rela�ons EDD/UI/DLSE Handbooks/Policies Hiring Inves�ga�on ADA/Leave Laws Poster/Records/Forms Surveys/Outreach Termina�on Training Wage & Hour Work Comp/OSHA 42 | The Nugget • Sacramento District Dental Society

DENNIS BALUYUT, DMD General Practice

Dr. Baluyut earned his dental degree from University of the East in 1982. He currently is practicing at Elica Health Center in Sacramento.

LIYA AYENEW, DDS General Practice

Dr. Ayenew earned her dental degree from SUNYBuffalo in 2022. She is currently practicing at Make A Smile Dental in Folsom.

HEATHER BEATY, DDS General Practice

Dr. Beaty earned her dental degree from Columbia University in 2015. Her current practice location is pending.

SALLY CHU, DDS General Practice

Dr. Chu earned her dental degree from University of Pennsylvania in 2011. She is currently practicing at Bughao and Chu Dental in El Dorado Hills.

DEVAN DALLA, DDS General Practice

Dr. Dalla earned his dental degree from New York Dental School in 2013. He is currently practicing at Ora Dentistry in Elk Grove.

ELIZABETH GROVER, D DS General Practice

Dr. Grover earned her dental degree from UCSF in 2019. She is currently practicing at Winters Healthcare in Winters.

WILLIAM HUIRAS, DDS General Practice

Dr. Huiras earned his dental degree from UCSF in 1992. He is currently practicing at Marconi Dental Group in Sacramento.

ANSHUMI A. SHAH, DDS General Practice

Dr. Shah earned her dental degree from International in 2021. Her current practice location is pending.

Pending Applicants:

Miguel Cortez, DDS Lee Lo, DDS Cherie Ransby, DDS Walter Venerable, DDS Kwan-Ho Yun, DDS

Congratulations to Our New Retired Members!

Michael Hinh, DDS Lynn Judd, DDS John Maciel, DDS Cynthia Stuart, DDS Dennis Wong, DDS H. Wesley Yee, DDS

TOTAL ACTIVE MEMBERS: 1,471 TOTAL RETIRED MEMBERS: 345 TOTAL DUAL MEMBERS: 7 TOTAL AFFILIATE MEMBERS: 9 TOTAL STUDENT MEMBERS: 86 TOTAL CURRENT APPLICANTS: 7 TOTAL DHP MEMBERS: 61 TOTAL NEW MEMBERS FOR 2022: 98 TOTAL MEMBERSHIP (as of 12/9/22:) 1,877 MARKET SHARE: 80.1% RETENTION RATE: 93.7% ENGAGEMENT RATE: 78% New Members January/February 2023
Transfer!

Dr. Steve Casagrande

In Memoriam

We were saddened to hear that Dr. Steve Casagrande passed away in late November while he was on vacation in Italy with his wife, Diane.

Dr. Casagrande graduated from USC Herman Ostrow in 1974 and began his membership then; he practiced in midtown Sacramento until retirement in 2021. His son, Dr. Michael Casagrande, continues to practice there.

Dr. Casagrande served the field of dentistry well. He was an examiner for the Dental Board, a case reviewer and ended by serving on the Dental Board for 10 years, 20062016, serving as President in 2006. His support and diligent work on the Licensure by Credential pathway helped make that pathway what it is today. He served on the SDDS Board, Peer Review Committee, the Senate Select Committee on Small Business Enterprises. He also was a high school football official and a Lt. Colonel in the National Guard SMR unit.

Dr. Casagrande served as a leader in many other Sacramento community organizations such as Point West Rotary, St. Michael’s School, Make a Wish, and the Sutter Club. From 1985-1995 he was the “guitar man” for the Stanford Home for Children’s Celebrity Concert, raising more than a million dollars for that cause. The Celebrity Concert also included our SDDS Executive Director, Cathy, Kitty O’Neal, George Hullin, Kurt Spataro, Joe Gilman, Wayman Tisdale, First Lady Gayle Wilson and many more. And, of course, his guitar playing and his band were the featured entertainment for the SDDS

Email us at sdds@sdds.org to become a member and make a difference with the Smiles for Kids and Big Kids programs. Thanks for your support!

In Memoriam

Dr. William T. Ozawa passed away from cancer in August 2022. He earned his DDS at University of Southern California in 1965, finished his oral and maxillofacial surgery residency in 1970, and later became a diplomate of the American Board of Oral and Maxillofacial Surgery. He retired from oral surgery in 1998. He was an SDDS member since 1979.

Dr. Roy A. Eakin passed away in November 2022. He was 93 years old. He attended USC Herman Ostrow School of Dentistry. He was an SDDS member since 1961.

Help support the Sacramento District Dental Foundation with your everyday purchases on Amazon! Your orders can help support Smiles for Kids, Smiles for Big Kids, and SDDF's other community outreach as well!

All you need to do is simply, head to smile.amazon.com to get started!

If you have not yet selected a charity with Amazon Smile you'll be able to search for "Sacramento District Dental Foundation" within the list of charitable organizations. If you've already selected a charity, you can switch it to SDDF at any time. Then you can shop at smile.amazon.com and Amazon will donate 0.5% of eligible purchases to your favorite charitable organization

WELCOME

to SDDS’s new members, transfers and applicants.

IMPORTANT NUMBERS:

SDDS (doctor’s line) (916) 446-1227

ADA (800) 621-8099

CDA/TDIC (800) 736-8702

Denti-Cal Referral (800) 322-6384 Central Valley Well Being Committee ... (559) 359-5631

www.sdds.org • January/February 2023 | 45

We’re Blowingyour horn!

Congratulations to...

Dean Dr. Kevin Keating for receiving the Dr. Bob Gillis award! He was chosen for this award for his extraordinary leadership, dedication and continued involvement in our Dental Society and the entire dental community. (1)

Dr. Andrea Cervantes for receiving the President's award for 2022! Her dedication and energy to “have some fun” is appreciated! (2)

Cathy Levering for receiving the Inagural Cathy Levering Oral Health Hero Award. It was given to its namesake, Cathy Levering, SDDS Executive Director, during the 2022 Early Smiles Sacramento School Health Services Heroes Reception on December 13, 2022. This award acknowledges Cathy’s commitment to partnership, her continuous pursuit of excellence, and her incredible contributions to ensuring that students in Sacramento County have good oral health and access to quality dental care. Cathy has gone above and beyond to improve the oral health of children in Sacramento County and we cannot imagine anyone more deserving. Award and dedication by LIBERTY Dental Plan (3)

Drs. Chirag Vaid and Rika Prodhan-Ashraf for finishing years as CAGD President and Sac Sierra AGD President respectively.

Our outgoing SDDS and SDDF Board members, we are grateful for their commitment to our Dental Society and dental community.

Dr. Brock Hinton - SDDS

Dr. Kevin Keating - SDDS

Dr. Viren Patel - SDDF

Send us your news to sdds@sdds.org to let everyone know about the great things that are happening!

3 2
US
YOUR
LET
KNOW
NEWS!
1 46 | The Nugget • Sacramento District Dental Society

Vendor Member SPOTLIGHT

DDSmatch connects dental office buyers, sellers & associates by integrating tremendous relationship capabilities, using a unique process for dentists “The Trusted Transition Process.” Supported by a robust website and professional advice, we also differentiate our services with fair, dependable Third Party Business Valuations and practice appraisals which are highly supported by accredited professionals.

Benefits, Services, Special Pricing and/or Discounts Extended to SDDS Members: Please contact Roy Fruehauf directly for the most up-to-date specials for SDDS members. ph: (916) 918-5752 | www.ddsmatch.com

Roy Fruehauf roy@ddsmatch.com

Kids Care is a leading integrated, multi-specialty health care delivery company. With a vision of a lifetime of healthy smiles, Kids Care provides pediatric dental, orthodontic and oral surgery services to patients from infants to young adults. We are a collective passionate about pediatric and adolescent health and wellness, operating in more than 25 locations throughout California and the West Coast. At Kids Care, we don’t just care for smiles, we create them. ph: (916) 678-3565 | www.kidscaredental.com

Jeff Summers jsummers@kidscaredental.com

DENTAL MASTERS is a full-service, state-of-the-art dental laboratory. Started in 1950, Dental Masters serves General Dentists, Prosthodontists, Surgical Specialists and Dental Schools.

Benefits, Services, Special Pricing and/or Discounts Extended to SDDS Members: Introductory “Partners in Success” $500 account credit to new doctors who are members of SDDS! ph: (800) 368-8482 | www.dentalmasters.com

Michael Kulwiec, CDT mkulwiec@dentalmasters.com

LIBERTY Dental Plan (LIBERTY) is a California-based dental plan, founded and run by a dentist, and a leadership team offering a combined 300 years of dental and healthcare industry experience. LIBERTY is one of the nation’s fastest growing dental plans and we now administer dental benefits to over 4.5 million members nationwide on behalf of states, health plans, and commercial clients. We have almost 20 years of experience administering dental benefits in California and as one of the Dental Geographic Managed Care plans in Sacramento County, we are proud to make our members shine one smile at a time. ph: (800) 268-9012 | www.libertydentalplan.com

Cherag Sarkari, DDS, Dental Director (949) 648-1906 | csarkari@libertydentalplan.com

With over 16 years of experience working with dental clients, our goal has been for practices to rely on us with confidence that their teams and organizations are safe, protected and compliant in terms of OSHA and HIPAA regulations.

Benefits, Services, Special Pricing and/or Discounts Extended to SDDS Members: Call us anytime with compliance questions, we are here to support SDDS members! Complimentary OSHA and/or HIPAA analysis per regulatory guidelines and 30% off our implementation and installation fee.

ph: (510) 560-6191 | BandWCompliance.com

Donna Boyd (707) 477-1342 | admin@BandWCompliance.com

Dolan Williams (707) 508-6547 | dolan@BandWCompliance.com

MUN CPAs; specializes in the Dental Industry, we offer year round financial services to fit your dental practice needs.

Benefits, Services, Special Pricing and/or Discounts Extended to SDDS Members: Complimentary three-year review of your business and personal returns. ph: (916) 724-3962 | www.muncpas.com

John Urrutia, CPA, Partner jru@muncpas.com

Integrity Practice Sales is a full-service dental practice brokerage. If you are considering selling your practice, we can help you set the right price, connect you with the perfect buyer, and manage all the moving parts for a successful transition. There is no charge to list your practice with Integrity; we are paid only when your practice is sold. Speak to one of our qualified agents about your transition today.

Benefits, Services, Special Pricing and/or Discounts Extended to SDDS Members: Free appraisal of the current value of your practice.

ph: (855) 337-4337 | integritypracticesales.com

Nelson Reynolds nelson@integritypracticesales.com

Trek Financial is an independent firm that provides comprehensive financial services to individuals and businesses.

Products & Services: Income protection, tax minimization, and wealth transfer.

ph: (530) 757-4460 | trekfinancial.com

Evan G. Mathew evan@trekfinancial.com

learn more

about these Vendor Members!

we love our Vendor Members!
www.sdds.org • January/February 2023 | 47

ASSOCIATE POSITIONS AVAILABLE

Reza Fouladi, DDS • Sac/Roseville • FT/PT• Oral Surgery

Han Do, DDS • Sacramento • PT • Ortho

Junie Baldanado, DDS • Loomis • PT • GP

Kalpesh Patel, DDS • Sacramento • FT • GP

Shahin Shamsian, DDS • South Sacramento • PT/FT • GP

Mahnaz Moussavi, DDS • Folsom • FT • GP

Jonathan Chan, DDS • Roseville • PT • GP

Hung Le, DDS • Elk Grove • PT • GP

Carlos Bonilla, DMD • Sacramento • PT • Endo

Marcela Diaz, DDS • Elk Grove • PT/FT • GP

Siamak Okhovat, DDS • Roseville • FT/PT • GP

Darce Slate, DDS • Rocklin • PT • GP

April Westfall, DDS • Placerville • PT/FT • GP

David Park, DDS • FT/PT • GP

Elizabeth Johnson, DDS • various Wellspace locations • FT/PT/Fill-In • GP

DOCS SEEKING EMPLOYMENT

Shah Khodai, DDS • PT • GP

Behdad Javdan, DDS • PT • Perio

Bruce Taber, DDS • Fill-In • GP

50 | The Nugget • Sacramento District Dental Society
INDEX Advertiser
Advertiser
INDEX
Compliance Services & Consulting
49
49
2
48
48
48
48
48
48
Abyde Compliance.
B & W Compliance, Inc. 31,
Dental Supplies, Equipment, Repair 3M
Analgesic Services Inc.
Desco Dental Equipment.
Henry Schein Dental. 23, 48 Patterson Dental.
Straumann US, LLC
Supply Doc. 27, 48 Dental Labs Dental Masters Laboratory
NEO Dental Laboratory
Dental Plans/Programs
49
49
49
48
48
49
49
49
49
49
Access Dental Plan 7,
Health Net of California 17,
LIBERTY Dental Plan
Dental Practices Kids Care Dental and Orthodontics
Education & Professional Developement The Foundation for Allied Dental Education. 37, 48 IBS Implant & Academy of Minimally Invasive Implantology.
Financial Services Banner Bank
First US Community Credit Union
Merrill Lynch a bank of America Company. 19, 49 MUN CPAs ...............................
Sierra Ridge Wealth Management. 31, 49 Thomas Doll. 49 Trek Financial.
US Bank
48
48
48
49
48
49
49
31
48
48
Estate Buildings Dean Sands, DDS 41 Refining - Gold/Metal Star Refining 48 Retirement Planning California Dentists’ Guild. 49 Technology Services Comcast Business. 48 Employment/Staffing/Associates DDSmatch 35, 49 Resource Staffing Group 49 Swiss Monkey 49 Vendor Member Vendor Member Vendor Member Vendor Member Vendor Member Vendor Member Vendor Member Vendor Member Vendor Member Vendor Member Vendor Member Vendor Member Vendor Member Vendor Member Vendor Member Vendor Member Vendor Member Vendor Member Vendor Member Vendor Member Vendor Member Vendor Member Vendor Member Vendor Member Vendor Member Vendor Member Vendor Member Vendor Member Vendor Member Vendor Member Vendor Member Vendor Member Vendor Member Vendor Member Vendor Member Vendor Member Vendor Member Vendor Member Vendor Member Vendor Member Job Bank
SDDS Job Bank is a service offered only to SDDS Members.
job seekers to reach other Society members who
for dentists to round out their practice, and vice
If you
job
or associate seeker contact SDDS at (916) 446-1227, we can also provide contact information for the members listed below.
Human Resources & Legal BPE Law Group
California Employers Association (CEA) 43, 48 The Fortune Law Firm
Insurance Services TDIC & TDIC Insurance Services 39,
IT & Dental Billing SD Reliance Management 23,
Office Design & Construction Olson Construction
Practice Management Adams Dental Consulting. 8,
MGE: Management Experts
Practice Sales Henry Schein Financial
Integrity Practice Sales 27,
Professional Practice Sales
Real
The
It is for
are looking
versa.
are a
seeker
MEMBER BENEFIT!
| The Nugget • Sacramento District Dental Society

Classified Ads

EMPLOYMENT OPPORTUNITIES EMPLOYMENT OPPORTUNITIES

The office of Dr. Hung Do is excited to add an Endodontist Associate to their team 2-3 days a week. The team thrives in a fun, motivated and encouraging environment. Successful candidates will have a patient first, compassionate personality with solid clinical skills and ethics. Preference is a candidate with previous private practice experience but also willing to mentor new grads. Completion of Endodontic Residency is required. License/ credentials applicable to the state of California. Inquiries and CV's submitted to Jenny Wilding at jwilding@mosaicdentalcollective.com 01-02/23c

Looking for an amazing General Dentist to join our team 2-3 days a week. We have an incredible community and pride ourselves on the care we provide our community. Contact: admin@ calkidzdental.com 7-8/22

Well established Private Dental Practice. Delta Premier/PPO/Fee for Service. Seeking full time associate with potential to buy practice. Location: Yuba city. Contact: (916) 992-4537 Pay: $900 Base/Min or 278 Production 7-8/22

SUPERSTARS WANTED! The Spot for Smiles is seeking an AMAZING pediatric specialist (or GP who loves kiddos). Come find out why we are THE SPOT for kids dentistry in the greater Sacramento area. Email CV and cover letter to derekb@spotforsmiles.com4/22

Kids Care Dental & Orthodontics seeks orthodontists to join our teams in the greater Sacramento and greater Stockton areas. We believe when kids grow up enjoying the dentist, healthy teeth and gums will follow. As the key drivers of our mission—to give every kid a healthy smile—our dentists, orthodontists and oral surgeons exhibit a genuine love of children and teeth. A good fit for our culture means you are also honest, playful, lighthearted, approachable, hardworking, and compassionate. Patients love us...come find out why! Send your resume to talent@kidscaredental.com. 6-7/17

Kids Care Dental & Orthodontics seeks dentists to join our teams in the greater Sacramento and greater Stockton areas. We believe when kids grow up enjoying the dentist, healthy teeth and gums will follow. As the key drivers of our mission—to give every kid a healthy smile—our dentists, orthodontists and oral surgeons exhibit a genuine love of children and teeth. A good fit for our culture means you are also honest, playful, lighthearted, approachable, hardworking, and compassionate. Patients love us...come find out why! Send your resume to talent@kidscaredental.com. 6-7/17

FOR LEASE

900 SF New! Includes: Sewer, Water, Garbage and Supplied Dental Grade Air/Vac Hookup. Rent: $3,375.00 - $4,050.00/Month. 916-384-7287 ccdb1901@gmail.com 1-3 Months Free! Move In Today! 11-12/22

Sacramento Dental building $575K; Roseville/ Rocklin areas, Sacramento, Lincoln, Dental suites for lease; Ranga Pathak (916) 201-9247; Email: ranga. pathak@norcalgold.com; Broker Associate, RE/MAX Gold, DRE01364897. 8-9/21

1150 sq ft. Carmichael Dental office. Three operatories, some dental equipment included in lease. Turnkey Dental office. Garbage & sewer included in lease. Property is fenced, no homeless issues. $1900 per month. 2447 Mission Ave. #B. Please call 916-483-2484 7-8/22

Greenhaven Dental Office For Lease. Professional Dental Building 930 Florin Road Ste 100. 1,396 S.F. $1.85 PSF Plus Utilities. Contact agent (916) 443-1500 CA DRE Lic. #01413910 11/20

SACRAMENTO DENTAL COMPLEX has one 3 unit suite which is equipped for immediate occupancy. Two other suites total 1630 sq. ft which can be remodeled to your personal office design with generous tenant improvements. 2525 K Street. Please call for details: (916) 448-5702. 10/11

PRACTICES FOR SALE

Practice for sale: Seller motivated: Practice collected over $1-219M in 2021. 3200SF w/7 fully equipped ops and plumbed for 3 additional $850k. Contact acostacuevasfamilydental@frontiernet.net 01-02/23c

Transition Downtown Fair Oaks dental practice to a recent graduate dentist immediately. I would work for one or two years helping the dentist with my patients. jackhstansfield@yahoo.com 11-12/22

PLACER COUNTY ALONGSIDE INTERSTATE 80: Delta PPO shall collect $590,000 in 2022. Building also available for purchase. FAIR OAKS: Phenomenal exposure at busy intersection. What makes this a tremendous investment is the real estate is included. LAKE TAHOE: Collections in 2022 shall top $875,000 on 20-hour work week with Available Profits of close to $400,000. Asking $225,000. For more information, go to www.PPSselllsDDS.com or phone Ray Irving at 415-899-8580. 9-10/22

Omni Practice Group has several listings in the Sacramento area:

Amazing south Sacramento County growth opportunity practice. High visibility location. Underserved community and 6 operatories. (CAD125).

Elk Grove practice with a great reputation, 4 fully equipped ops, growing collections, and customer base. Highly desirable medical building, over $800k in annual collections. (CAD124).

For more information, contact Chris Barbour (#2135925) at chris@omni-pg.com or call (916) 792-5038. 4/22

EQUIPMENT FOR SALE

Orthodontic office equipment for sale in Gold River. All equipment is less than 5 years old. 5 ortho chairs with side delivery unit, compressor, and vacuum, digital pano/ceph, computers and server, office furniture. My lease is expiring at the end of February 2023. Please contact david@davidmarkham.com 01-02/23c

VACATION TRADE

North Lake Tahoe Ski Cabin near Homewood. Sleeps 6 adults, two baths, inside was renovated Summer

Equipment for Sale and/or Lease of Turnkey Office in El Dorado Hills. 6 Ops of Excellent condition ADec chairs/cabinets/stools/delivery units, Compressor and Vacuum. Moved to new location, previous EDH office is turnkey and ready for new tenant. Reception furniture, office decor, breakroom table/refrigerator all still there. Priced to move. Contact everhart.ryan@ gmail.com 9-10/22

WELLSPACE HEALTH ORGANIZATION (an FQHC) is taking applications for fill-in/parttime/full-time dentists. Send your resume/CV to eljohnson@wellspacehealth.org. 1/15 Selling your practice? Need an associate? Have office space to lease? SDDS member dentists get one complimentary, professionally related classified ad per year (30 word maximum). For more information on placing a classified ad, please call the SDDS office at 916.446.1227

one classified
FOR FREE! MEMBER BENEFIT!
or visit http://www.sdds.org/publications-media/advertise/ SDDS member dentists can place
ad
2022. Please contact Dr. Guess at 916-933-0123 or drmguess@sbcglobal.net 11-12/22
www.sdds.org • January/February 2023 | 51

2035 Hurley Way, Suite 200 • Sacramento, CA 95825 916.446.1211 • www.sdds.org

SDDS CALENDAR OF EVENTS

JANUARY

3 Board Meeting

6pm / SDDS Office

10 General Membership Meeting

10 on 10 PERIO: What Happened to that Implant?

Leland Lee, DDS; Matt Korn, DDS; Rosemary Wu, DDS, MS; Paul Binon, DDS, MSD and Navneet Arora, DDS, MPH, DABP

Hilton Sacramento Arden West

3 CE Core / 5:45pm Social / 6:45pm

Dinner & Program

24 HR Webinar

Alternate Workweeks, Lunches and Breaks – Oh My!

Von Boyenger, Sr. Deputy Labor Commissioner

1 CEU, 20% /12–1pm or 1–2pm / Webinar

31 CPR–AHA BLS Blended Learning Skills Testing, 3 Time Sessions

4 CEU, Core / 6–6:45pm, 7–7:45pm, 8–8:45pm / SDDS Office

FEBRUARY

1 Smiles for Kids Day

16 MidWinter Convention Day 1 SAFE Credit Union Convention Center

17 MidWinter Convention Day 2 SAFE Credit Union Convention Center

28 HR Webinar

Wellness in the Workplace

California Employers Association (SDDS Vendor Member) No CEU / 10–11am / Webinar

MARCH

14 General Membership Meeting

Malpractice Stories: Risk Exposure, Prevention, Safety, and Empowerment

Michael Kowalski, DDS, JD

Hilton Sacramento Arden West

3 CE Core / 5:45pm Social / 6:45pm Dinner & Program

For more calendar info and to sign up for courses online, visit: www.sdds.org

See page 36 for upcoming committee meetings

The 42nd Annual MidWinter Convention & Expo February 16-17,

2023

Upcoming GENERAL MEETINGS

JAN 10

“SDDS Talks” – 10 on 10

What Happened To That Implant?

Tuesday • 3 CEU, Core • $80

Presented by Drs. Navneet Arora, Leland Lee, Matt Korn, Paul Binon and Rosemary Wu

Implants have become part of everyday dentistry. The bigger issue in clinical practice is the need to monitor implants as a part of normal dentition, identify problems early to manage them and have a plan in place to maintain them in the long run. The goal of the presentation is to educate the audience on how to identify an ailing implant and how to manage it. This presentation is done by local specialists who are experts in the field of managing implants and the issues that arise with them after they have been restored and in function.

MAR 14

Malpractice Stories: Risk Exposure, Prevention, Safety, and Empowerment

Tuesday • 3 CEU, Core • $80

Presented by Michael Kowalski, DDS, JD

As dental professionals we emphasize prevention for our patients. This talk will focus on how to become proactive with risk exposure and management. Topics will include recent changes in California law governing dental malpractice legal actions, trends in malpractice litigation, how to deal with patient expectations and threats of potential legal actions as well as protocols for complete documentation. Proactive risk recognition allows for increased options, better results and more trusting patients.

5:45pm: Social & Table Clinics | 6:45pm: Dinner & Program

Hilton Sacramento Arden West (2200 Harvard Street, Sac)

PRSRT STD US POSTAGE PAID PERMIT NO. 557 SACRAMENTO, CA
ADDRESS SERVICE REQUESTED

Turn static files into dynamic content formats.

Create a flipbook
Issuu converts static files into: digital portfolios, online yearbooks, online catalogs, digital photo albums and more. Sign up and create your flipbook.