2023 Community Choice Awards

Page 1

YOUR 2023 OFFICIAL COMMUNITY CHOICE AWARDS IN PARTNERSHIP WITH 265 EAST VALLEY WINNERS 266 WEST VALLEY WINNERS JUNE 2023 YOURCHOICEAWARDS.COM/PHOENIX &
2 | JUNE 2023 | Best of Desert - Community’s Choice Awards Desert Financial Credit Union has been a trusted financial partner in the community for over 80 years. Experience banking at its best and make the switch today! Kate & Ryan Members since 1998 Federally insured by NCUA | Equal Housing Opportunity BANKING BORROWING PROTECTING PLANNING DesertFinancial.com @DesertFinancial | Arizona’s most trusted credit union
Best of Desert - Community’s Choice Awards | JUNE 2023 | 3
4 | JUNE 2023 | Best of Desert - Community’s Choice Awards
OF CONTENTS
BEAUTY & HEALTH – EAST Audiology Clinic 6 Barber Shop 6 Brow/Lash/Waxing Treatment 6 Cancer Center 6 Cardiology Clinic/Hospital 6 Chiropractic Clinic 6 Cosmetic Dentistry 9 Cosmetic/Plastic Surgery Center ������������������ 9 Dental Clinic 9 Dermatology Clinic 9 Eye Care Clinic 9 Facials 9 Family Practice 10 Hair Salon 10 Hearing Aid/Hearing Specialist Center 10 Hospice 10 Hospital Emergency Room������������������������� 10 Hospital/Medical Center 10 LASIK Surgery Center 11 Massage Therapy 11 Maternity & Childbirth Center 11 Medical Supply Store ��������������������������������� 11 Medical/Doctor’s Office 11 Nail Salon - Manicure/Pedicure 11 Nutrition/Vitamin/Supplement Store 11 Orthodontic Clinic 11 Orthopedic Center 11 Pain Management Clinic 11 Pediatric Clinic 11 Pediatric Dental Clinic 11 Physical Therapy Clinic ������������������������������� 12 Spa/Medical Spa 12 Urgent Care/Walk-In Clinic 12 Weight Loss Center 12 DINING – EAST All-Around Restaurant ������������������������������� 13 Appetizers 13 Bakery 13 BBQ 13 Breakfast ��������������������������������������������������� 13 Brunch 13 Burger 14 Caterer/Catering Company 14 Chinese Food ��������������������������������������������� 14 Dessert 14 Diner 14 Doughnut Shop 14 Fast Food ��������������������������������������������������� 14 Fine Dining 14 Greek Food 14 Ice Cream/Frozen Yogurt 14 Italian Food ����������������������������������������������� 14 Japanese Food 14 Local Coffee Shop 15 Lunch 15 Mexican Food 15 Outdoor/Patio/Rooftop Dining 15 Pizza 15 Romantic Restaurant 15 Seafood Restaurant 15 Steakhouse 15 Sub/Deli/Sandwich Shop 15 Sushi 15 Thai Food 15 Vegetarian/Vegan/Gluten-Free Food 15 Wings 15 ENTERTAINMENT & LEISURE –EAST Art Gallery 16 Birthday Party Venue 16 Casino �������������������������������������������������������� 16 Event - Local 16 Event Venue ����������������������������������������������� 16 Family Amusement 16 Fundraising Event 17 Hotel 17 Live Music/Concert Venue 17 Live Theater 17 Movie Theater/Budget Theater 17 Museum 17 Place to Dance 17 Place to Live 17 Radio Station - Local 17 Sports Team - Local������������������������������������ 17 Tourist/Seasonal Attraction - Local 17 TV News - Local ����������������������������������������� 17 Wedding Venue 18 Zoo 18 Columnist/News Reporter 18 FINANCE– EAST Accounting Firm 18 Bank 18 Credit Union 18 Financial Planning Services 18 Mortgage Lending Company 18 Tax Preparation Services 18 HOME & HOME SERVICES–EAST Apartment Complex ���������������������������������� 20 Assisted/Senior Living 20 Backyard Construction Company 20 Bathroom/Kitchen Remodeling Company 20 Cabinet Company 20 Custom Home Builder 20 Door Company 21 Home Builder 21 Home Repair/Remodeling Company 21 Hot Tubs 21 Interior Design Company 21 Moving Company 21 Multi Family Developer 22 Real Estate Company 22 Retirement/55+ Community 22 Swimming Pool/Spa 22 Real Estate Agent 22 KIDS & EDUCATION – EAST Child Care 23 College/University ������������������������������������� 23 Dance Studio/School 23 Karate/Martial Arts School 23 Learning/Tutoring Center 23 Pre-School ������������������������������������������������� 23 PETS – EAST Animal Rescue/Shelter/Adoption 24 Emergency Veterinary Clinic 24 Pet Grooming Company 24 Pet Kennel/Boarding/Day Care 24 Pet Store 24 Veterinary Clinic 24 School - Private 24 School - Public 24 Youth Sports Facility/Complex 24 SERVICES – EAST Artificial Turf Company 25 Carpet/Rug Cleaning Company 25 Cleaning Service Company 25 Dry Cleaning Company ������������������������������ 25 Flooring Installation 25 Funeral Home/Crematory 25 Garage Door Company 26 Heating/AC Service Company 26 Insurance Agency 26 Law Firm 26 Lawn Care/Landscaping Company ������������� 26 Medicare Advisor 26 Non-Profit/Charity Organization 28 Painting Company 28 Pest Control Company�������������������������������� 28 Plumbing Company 28 Roofing Company 28 Self-Storage Company 28 Tattoo Studio 28 Travel Agency 28 Water Treatment/Filtration 28 Window Company ������������������������������������� 28 Attorney - Divorce 28 SHOPPING Appliance Store ����������������������������������������� 29 Backyard Furniture/Patio Store 29 Boutique 29 Bridal/Formalwear Boutique 29 Consignment Store ������������������������������������ 29 Farmers Market 29 Flooring Store 29 Florist Shop 29 Furniture Store 29 Garden Center/Nursery 29 Grocery Store 29 Home Goods/Décor������������������������������������ 29 SPIRITS – EAST Bar 30 Bloody Mary 30 Brewpub/Brewery 30 Happy Hour 30 Liquor Store ����������������������������������������������� 30 Margarita 30 Jewelry Store 30 Marijuana Dispensary 30 Mattress Store 30 Men’s Clothing Store 30 Shoe Store 30 Women’s Clothing Store 30 Sports Bar 31 Wine Store ������������������������������������������������� 31 Winery 31 SPORTS & FITNESS – EAST Driving Range 31 Fitness Center/Gym 31 Golf Course 31 Golf Shop 31 Hiking Trail 31 TOP EMPLOYERS – EAST Locally Owned Business 34 Place to Work 34 Sporting Goods/Outdoor Store ������������������ 34 Yoga/Pilates Studio 34 Personal Trainer 34 VEHICLES, DEALERS & SERVICES – EAST Auto Dealer Service Department 35 Auto Glass Repair Company 35 Auto Repair Shop ��������������������������������������� 35 Car Wash/Detail Shop 35 New Car Dealership 35 Overall Auto Dealership 35 RV Dealership 35 Tire Center 35 YOUR 2023 EAST VALLEY WINNERS AND FINALISTS Celebrating IN PARTNERSHIP WITH &
TABLE
– EAST

MEDICAL PATIENTS AND RECREATIONAL [21+] CUSTOMERS

FeelGoodFriday

Best of Desert - Community’s Choice Awards | JUNE 2023 | 5
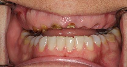
6 | JUNE 2023 | Best of Desert - Community’s Choice Awards “My implant bridge makes me smile again! Thank you!” — Actual Patient: Amy Before After Sameet Koppikar, D.D.S Thank You for Your Votes! Best Dental Clinic and Cosmetic Dentistry Schedule Your Consultation Today! 602.954.8200 4202 N. 32nd St. STE B, Phoenix www.BiltmoreDentalCenter.com Office@BiltmoreDentalCenter.com AR-GCI1061326-04 950 2023 WINNERS BEAUTY & HEALTH – EAST A&A AUDIOLOGY 3226 N Miller Rd Suite #4 Scottsdale, AZ 85251 480.770.5444 AUDIOLOGY CLINIC Livingston Hearing Aid Center lhac.com Mayo Clinic Audiology mayoclinic.org aaaudiology.com LIFELINE BARBERSHOP 250 S Arizona Ave St #5 Chandler, AZ 85225 480.415.7549 lifelinebarbershop.com V’S BARBERSHOP Multiple Locations vbarbershop.com BARBER SHOP AJ Barber Shop aj-barber-shop.business.site SWEET SKIN MEDSPA 1825 E Northern Ave Ste 220 220 Phoenix, AZ 85020 602.825.1746 BROW/LASH/WAXING TREATMENT DermaCrush dermacrush.com The Beauty Boss Co thebeautyboss.co sweetskinphx.com MAYO CLINIC COMPREHENSIVE CANCER CENTER 5881 E Mayo Blvd Phoenix, AZ 85054 480.515.6296 CANCER CENTER Banner MD Anderson Cancer Center Banner Gateway Medical Center bannerhealth.com Ironwood Cancer & Research Centers ironwoodcrc.com mayoclinic.org MAYO CLINIC HOSPITAL Scottsdale 13400 E. Shea Blvd Scottsdale, AZ 85259 480.301.8000 CARDIOLOGY CLINIC/HOSPITAL Banner Heart Hospital bannerhealth.com Tri-City Cardiology tricitycardiology.com mayoclinic.org THE HEALING JOINT 3226 N Miller Rd Ste 5 Scottsdale, AZ 85251 480.214.4970 CHIROPRACTIC CLINIC AFC Physical Medicine & Chiropractic afcchiropractic.com BackFit Health + Spine backfithealth.com thehealingjoint.com 2023 FINALISTS EAST Beauty & Health Dental Clinic Biltmore Dental Center GCI1061326-04 half pg $3,982.60 GCI1061326-04
Best of Desert - Community’s Choice Awards | JUNE 2023 | 7 FAMILY FIRST FAMILY LAW WITH A PERSONAL TOUCH We listen carefully We always keep you informed (623) 566-4500 Voted Best Divorce Attorney AR-GCI1061294-02

Carrot LASIK & Eye Center is Arizona’s leader in Laser Vision Corrective Surgery.

Dr. Matthew Hammond and Dr. Michael Herion are amongst the most experienced eye surgeons in the world, having treated thousands of pilots and soldiers during their time in the military and before entering private practice. As one of the most technologically advanced ophthalmology clinics in the state, Carrot patients report a satisfaction rate of over 98%. This is due to our commitment to Modern LASIK, which includes performing an AOA on every patient, using state-of-the-art surgical planning software, having the most modern and advanced lasers, and tracking clinical outcomes on every patient.

LASIK is just one of the many solutions to vision correction that are offered. We have developed a comprehensive range of services, including routine eye exams, diagnosis and treatment of eye conditions, surgical interventions, prescriptions for glasses or contact lenses, and management of chronic eye diseases.

Customized, patient first approach separates Carrot and is why you can trust your vision to the team at Carrot LASIK and Eye Center – offering unmatched results, modern-edge technology and unsurpassed patient service.

8 | JUNE 2023 | Best of Desert - Community’s Choice Awards
$1000 OFF LASIK RIGHT NOW! CARROT LASIK & EYE CENTER 1500 S Dobson Road Suite 313, Mesa, AZ 85202 (480) 561-6000 Email: info@carroteyecenter.com | Office Hours: Mon-Fri 8am-4pm Fax: 480-561-6003 AR-GCI1068484-03
Best of Desert - Community’s Choice Awards | JUNE 2023 | 9 2023 WINNERS 2023 FINALISTS BEAUTY & HEALTH – EAST DENTAL DESIGN STUDIOS 2323 E Guadalupe Rd. #101 Gilbert, AZ 85234 480.621.5535 COSMETIC DENTISTRY Biltmore Dental Center biltmoredentalcenter.com Brennan Dental brennandentalaz.com ddsarizona.com MAYO CLINIC COSMETIC CENTER 5779 E Mayo Blvd Phoenix, AZ 85054 480.342.2500 COSMETIC/PLASTIC SURGERY CENTER Caniglia Facial Plastic Surgery caniglia.com The SHAW Center theshawcenter.com mayoclinic.org BRENNAN DENTAL 1929 E Ray Rd Ste 2 Chandler, AZ 85225 480.745.2219 DENTAL CLINIC Biltmore Dental Center biltmoredentalcenter.com Dental Design Studios ddsarizona.com brennandentalaz.com ADVANCED DERMATOLOGY & COSMETIC SURGERY 740 E Highland Ave # 101 Phoenix, AZ 85014 • 602.264.9044 advancedderm.com DERMATOLOGY & SKIN SURGERY SPECIALISTS 8415 N Pima Rd #212 Scottsdale, AZ 85258 • 480.434.6600 DERMATOLOGY CLINIC Mayo Clinic Dermatology mayoclinic.org skinspecialistsofaz.com SOUTHWESTEN EYE CENTER Multiple Locations EYE CARE CLINIC Barnet Dulaney Perkins Eye Center goodeyes.com Mayo Clinic Optical Store Scottsdale mayoclinic.org sweye.com SWEET SKIN MEDSPA 1825 E Northern Ave Ste 220 220 Phoenix, AZ 85020 602.825.1746 FACIALS DermaCrush dermacrush.com Uptown Medispa uptownmedispa.com sweetskinphx.com EAST Beauty & Health Dermatology Clinic Dermatology & Skin Surgery Specialists GCI1067562-06 Half Page Package $3,982.60 THANK YOU FOR YOUR SUPPORT! BEST DERMATOLOGY CLINIC Office Hours: M-F 8a-5p (480) 434-6600 (480) 428-8615 8415 North Pima Road, Suite 212 | Scottsdale, AZ 85258 AR-GCI1067562-06
10 | JUNE 2023 | Best of Desert - Community’s Choice Awards AR-GCI1066625-02 A&A AUDIOLOGY VOTED BEST AUDIOLOGY CLINIC IN THE EAST VALLEY 3226 N Miller Road, Suite 4 • Scottsdale, AZ 85251 Call today to schedule an appointment. (480) 770-5444 THANK YOU for nominating us 3 years in a row! Your support has allowed us to grow. Find us at our new location! Scan here to book an appointment: go where you want to go...® #480.687.4043 | MobilityPlus.com Mobility Plus North Scottsdale! Showrooms in Casa Grande, Green Valley, Oro Valley, Prescott Valley, Scottsdale, and Tucson 2023 WINNERS 2023 FINALISTS BEAUTY & HEALTH – EAST TEMPE FAMILY PRACTICE Banner Health 6655 S Rural Rd STE 3 Tempe, AZ 85283 480.831.0600 FAMILY PRACTICE McDowell Mountain Ranch - Primary Care HonorHealth Medical Group honorhealth.com Pete Family Medicine couryfamilymedicine.com bannerhealth.com THE EDGE SALON AND SUITES 4955 S Alma School Rd #8 Chandler, AZ 85248 480.471.8544 HAIR SALON Arizona Hair Co arizonahairco.com Babydoll Hair Salon babydollhair.com theedgesalonaz.com A&A AUDIOLOGY 3226 N Miller Rd Suite #4 Scottsdale, AZ 85251 480.770.5444 HEARING AID/HEARING SPECIALIST CENTER Costco costco.com Mayo Clinic Audiology mayoclinic.org aaaudiology.com HOSPICE OF THE VALLEY Surprise Inpatient Care Home 14066 W Waddell Rd Surprise, AZ 85379 623.975.9292 HOSPICE Americare Hospice & Palliative Care americarehospice.org Banner Hospice bannerhealth.com hov.org CHANDLER REGIONAL MEDICAL CENTER 1955 W Frye Rd Chandler, AZ 85224 480.728.3000 HOSPITAL EMERGENCY ROOM HonorHealth Scottsdale Shea Medical Center honorhealth.com Mayo Clinic Hospital mayoclinic.org dignityhealth.org CHANDLER REGIONAL MEDICAL CENTER 1955 W Frye Rd Chandler, AZ 85224 480.728.3000 HOSPITAL/MEDICAL CENTER Banner Desert Medical Center bannerhealth.com HonorHealth Scottsdale Shea Medical Center honorhealth.com Mayo Clinic Hospital mayoclinic.org dignityhealth.org EAST Beauty & Health Medical Supply Store Mobility Plus North Scottsdale GCI1065639-02 Basic + 2 tickets $1,925.56 GCI1065639-02 EAST Beauty & Health Hearing Aid/Hearing Specialist Center A&A Audiology Quarter Package $2,488.66 GCI1066625-02 DISCOUNT NUTRITION SUPERSTORE Mutliple NUTRITION/VITAMIN/ SUPPLEMENT discountnutritionsuperstore.com BARNET PERKINS 4800 Phoenix, 602.598.7646 LASIK

MASSAGE THERAPY

RELAXING POINT MASSAGE

4100 S Lindsay Rd STE 111 Gilbert, AZ 85297 720.773.2070

goodeyes.com

relaxingpointmassage.com

carroteyecenter.com

Newman Eye Center newmaneyecenterphoenix.com

Petelin Vision petelinvision.com

Hand & Stone Massage and Facial Spa handandstonephoenix.com

Massage Envy SanTan massageenvy.com

CENTER

BEAUTY & HEALTH – EAST LASIK SURGERY CENTER Carrot LASIK & Eye Center

HONORHEALTH SCOTTSDALE SHEA MEDICAL

9003 E Shea Blvd Scottsdale, AZ 85260

480.323.3000 MATERNITY & CHILDBIRTH CENTER Babymoon Inn babymooninn.com Willow Midwife Centers for Birth & Wellness willowbirthcenteraz.com honorhealth.com MOBILITY PLUS North Scottsdale 15525 N 83rd Way B1 Scottsdale, AZ 85260 480.687.4043 MEDICAL SUPPLY STORE AZ MediQuip azmediquip.com Copper Star Home Medical Supplies copperstarhomemedical.com mobilityplus.com/NorthScottsdale PARADISE VALLEY MEDICAL CLINIC 9977 N 90th St #180 Scottsdale, AZ 85258 480.614.5800 MEDICAL/DOCTOR’S OFFICE Arizona Digestive Health arizonadigestivehealth.com The Woman’s Center thewomanscenter.com doctordoug.com FORUM NAIL SALON 1464 E Williams Field Rd #106 Gilbert, AZ 85295 480.855.7221 NAIL SALON - MANICURE/PEDICURE Oh Nails ohnailsgilbert.com Pink Petals Nails Spa pinkpetalsnailscottsdale.com forumnailsgilbert.com EAST Beauty & Health Nutrition/Vitamin/Supplement Store Discount Nutrition Superstore Quarter Page $2,488.60 GCI1068491-03

Best of Desert - Community’s Choice Awards | JUNE 2023 | 11 CHANDLER REGIONAL CENTER Rd 85224 CENTER Desert Center bannerhealth.com Scottsdale Center honorhealth.com Hospital dignityhealth.org 2023 WINNERS 2023 FINALISTS BEAUTY & HEALTH – EAST DISCOUNT NUTRITION SUPERSTORE Mutliple Locations NUTRITION/VITAMIN/ SUPPLEMENT STORE Supplement Nation The Vitamin Shoppe vitaminshoppe.com discountnutritionsuperstore.com SMILE STRAIGHT ORTHODONTICS 3229 E Greenway Rd UNIT 101 Phoenix, AZ 85032 623.215.9699 ORTHODONTIC CLINIC Affiliated Pediatric Dentistry & Orthodontics smilesbyapdo.com Arcadia Orthodontics arcadiaorthoaz.com smilestraightphx.com THE ORTHOPEDIC CLINIC ASSOCIATION TOCA Multiple Locations ORTHOPEDIC CENTER Foothills Orthopaedic Specialists foothillsorthoaz.com The CORE Institute thecoreinstituteaz.com bannerhealth.com
WINNERS
2023
2023 FINALISTS BARNET DULANEY PERKINS EYE CENTER 4800 N 22nd St Phoenix, AZ 85016 602.598.7646
12 | JUNE 2023 | Best of Desert - Community’s Choice Awards 2023 WINNERS 2023 FINALISTS BEAUTY & HEALTH – EAST SPOONER PHYSICAL THERAPY Multiple Locations PHYSICAL THERAPY CLINIC 360 Physical Therapy 360physicaltherapy.com The Orthopedic Clinic Association TOCA bannerhealth.com spoonerpt.com UPTOWN MEDISPA Multiple Locations SPA/MEDICAL SPA Aji Spa Sheraton Grand at Wild Horse Pass marriott.com DermaCrush dermacrush.com Sweet Skin Medspa sweetskinphx.com uptownmedispa.com BANNER URGENT CARE Multiple Locations URGENT CARE/WALK-IN CLINIC Dignity Health Urgent Care dignityhealth.org NextCare Urgent Care nextcare.com urgentcare.bannerhealth.com RED MOUNTAIN WEIGHT LOSS Multiple Locations WEIGHT LOSS CENTER Revitalize Weight Loss revitalizeweightloss.com WW Weight Watchers weightwatchers.com redmountainweightloss.com EAST Sweet Skin Medspa GCI1070160-02 MAYO CLINIC PAIN MEDICINE 5881 E. Mayo Blvd Phoenix, AZ 85054 480.301.8394 PAIN MANAGEMENT CLINIC Desert Spine and Sports Physicians desertspineandsports.com Pinnacle Pain and Spine pinnaclepainaz.com mayoclinic.org TLC PEDIATRICS Multiple Locations PEDIATRIC CLINIC Camelback Pediatrics camelbackpediatrics.com Phoenix Children’s East Valley Specialty Care phoenixchildrens.org tlcpedsaz.com GENERAL DENTISTRY 4 KIDS 3202 E Greenway Rd Ste #1287 Phoenix, AZ 85032 602.996.6065 PEDIATRIC DENTAL CLINIC Affiliated Pediatric Dentistry & Orthodontics smilesbyapdo.com Jungle Roots Children’s Dentistry & Orthodontics jungleroots.com gd4kphx.com
Best of Desert - Community’s Choice Awards | JUNE 2023 | 13 AR-GCI1063869-01 MEXICAN CAFE Thank You For Your Support! BEST MEXICAN FOOD CHANDLER 1890 W. German Road 480.855.4344 GILBERT 3519 E. Baseline Road 480.633.1313 MESA 6715 E. McDowell Road 480.830.8181 QUEEN CREEK 20734 E. Victoria Lane 480.878.4000 www.nandosmexicancafe.com Locally owned & operated, we want Nando’s to be the restaurant your family visits to celebrate birthdays, anniversaries, graduations & the like. THANK YOU TO THE COMMUNITY & FOR SUPPORTING YOUR LOCAL FISH COMPANY. chulaseafood.com@chula_seafood @chula_fisheries FRESH FISH IN THE DESERT VISIT ONE OF OUR 3 VALLEY LOCATIONS: NORTH SCOTTSDALE, SOUTH SCOTTSDALE + PHOENIX redmountainweightloss.com 2023 WINNERS 2023 FINALISTS DINING – EAST WILDFLOWER Multiple Locations ALL-AROUND RESTAURANT Senna House Scottsdale Curio Collection by Hilton thesennahouse.com Venezia’s Pizzeria venezias.com wildflowerbread.com POSTINO Multiple Locations APPETIZERS Abuelo’s Mexican Restaurant abuelos.com Senna House Scottsdale Curio Collection by Hilton thesennahouse.com postinowinecafe.com WILDFLOWER Multiple Locations BAKERY Decadent Macaron decadentmacaron.com The Sicilian Baker thesicilianbaker.com wildflowerbread.com JOE’S REAL BBQ 301 N Gilbert Rd Phoenix, AZ 85234 480.503.3805 BBQ Little Miss BBQ littlemissbbq.com Tom’s BBQ tomsbbq.com joesrealbbq.com WILDFLOWER Multiple Locations BREAKFAST First Watch firstwatch.com Snooze Eatery snoozeeatery.com wildflowerbread.com WILDFLOWER Multiple Locations BRUNCH First Watch firstwatch.com Snooze Eatery snoozeeatery.com wildflowerbread.com EAST Dining Mexican Food Nando’s Mexican Cafe GCI1063869-01 basic $3,125.56 EAST Dining Seafood Restaurant Chula Seafood Quarter Page $2,788.60 GCI1068866-03

CATERER/CATERING COMPANY

COLD

FAST FOOD

Locations

FINE DINING

MAPLE & ASH

7135 E Camelback Rd #130 Scottsdale, AZ 85251 480.400.8888

wildflowerbread.com

mapleandash.com

Senna House Scottsdale

In N Out Burger in-n-out.com

Cooper’s Hawk Winery & Restaurant chwinery.com

Jade Palace jadepalace-az.com

Singing

wildflowerbread.com

2023 FINALISTS

Senna House Scottsdale Curio Collection by Hilton thesennahouse.com

WILDFLOWER Multiple Locations

Multiple Locations 480.814.1681 DOUGHNUT

Flancer’s Incredible Sandwiches & Pizza flancers.com DONUTS

Dunkin’ Donuts dunkindonuts.com Krispy Kreme krispykreme.com bosadonutsaz.com 2023 WINNERS

GREEK FOOD

PITA

JUNGLE

Multiple Locations

ICE CREAM/FROZEN YOGURT

HANDEL’S HOMEMADE ICE CREAM

Multiple Locations

ITALIAN FOOD

THE SICILIAN BUTCHER

15530 N Tatum Blvd Phoenix, AZ 85032 602.775.5140

pitajungle.com

handelsicecream.com

2023 FINALISTS

Senna House Scottsdale Curio Collection by Hilton thesennahouse.com

Zorba’s Greek Cafe Find Us On Facebook

Andy’s Frozen Custard eatandys.com

RigaTony’s Authentic Italian rigatonys.com

Culver’s culvers.com

Venezia’s Pizzeria venezias.com

Multiple LOCAL wildflowerbread.com

BENIHANA

JAPANESE FOOD

Multiple Locations

benihana.com SEAFOOD chulaseafood.com

Kyoto Scottsdale at the Waterfront kyotoscottsdale.com Multiple

Jade Palace jadepalace-az.com

14 | JUNE 2023 | Best of Desert - Community’s Choice Awards
2023 WINNERS
DINING – EAST
BEERS
CHEESEBURGERS
&
BURGER
Multiple Locations
Five Guys fiveguys.com The Chuckbox thechuckbox.com coldbeers.com WILDFLOWER Multiple Locations
CHINESE FOOD
Tarbell’s tarbells.com Venezia’s Pizzeria venezias.com wildflowerbread.com FLO’S New Asian Cuisine 788 E Baseline Rd Tempe, AZ 85283 480.588.7922
DESSERT
Pandas Asian Restaurant & Bar Find Us On Facebook madebyflo.com WILDFLOWER Multiple Locations
Perth Cupcake DINER
Black Bear Diner blackbeardiner.com
wildflowerbread.com SHOP
BOSA
DINING – EAST
WILDFLOWER Multiple
Chick-fil-A chick-fil-a.com
Curio Collection by Hilton thesennahouse.com
thesicilianbutcher.com
WILDFLOWER
CHULA
16 | JUNE 2023 | Best of Desert - Community’s Choice Awards TICKETS AT TICKETS AT CELEBRITYTHEATRE.COM CELEBRITYTHEATRE.COM THANK YOU FOR VOTING FOR US! THANK YOU FOR VOTING FOR US! 2023 WINNERS 2023 FINALISTS ENTERTAINMENT & LEISURE –EAST MUSICAL INSTRUMENT MUSEUM 4725 E Mayo Blvd Phoenix, AZ 85050 480.478.6000 ART GALLERY Heard Museum heard.org Phoenix Art Museum phxart.org mim.org PHOENIX ZOO 455 N Galvin Pkwy Phoenix, AZ 85008 602.286.3800 BIRTHDAY PARTY VENUE Fat Cats fatcatsfun.com Mavrix mavrix.com phoenixzoo.org TALKING STICK RESORT 9800 Talking Stick Way Scottsdale, AZ 85256 480.850.7777 CASINO We-Ko-Pa Casino Resort wekopacasinoresort.com Wild Horse Pass Gila River Resorts & Casinos playatgila.com talkingstickresort.com CHRISTMAS AT SCHNEPF FARMS 24810 S Rittenhouse Rd Queen Creek, AZ 85142 480.987.3100 EVENT - LOCAL Arizona Renaissance Festival arizona.renfestinfo.com Waste Management Phoenix Open Golf Tournament wmphoenixopen.com schnepfchristmas.com SCHNEPF FARMS 24810 S Rittenhouse Rd Queen Creek, AZ 85142 480.987.3100 EVENT VENUE Celebrity Theatre celebritytheatre.com Chandler Center for the Arts chandlercenter.org schnepffarms.com CHRISTMAS AT SCHNEPF FARMS 24810 S Rittenhouse Rd Queen Creek, AZ 85142 480.987.3100 FAMILY AMUSEMENT Harkins Theater harkins.com OdySea Aquarium odyseaaquarium.com schnepfchristmas.com EAST Entertainment & Leisure Live Music/Concert Venue Celebrity Theater Half Page $3,982.0 GCI1068873-03 DINNER THE Desert Botanical 1201 Phoenix, 480.481.8178. FUNDRAISING
Best of Desert - Community’s Choice Awards | JUNE 2023 | 17 2023 WINNERS
FINALISTS ENTERTAINMENT
DINNER ON THE DESERT Desert Botanical Garden 1201 N Galvin Pkwy Phoenix, AZ 85008 480.481.8178. FUNDRAISING EVENT Barktoberfest azfriends.org The Salvation Army FORE THE CAUSE Golf Tournament give-sw.salvationarmy.org dbg.org CAMELBACK INN RESORT & SPA JW Marriott Scottsdale 5402 E Lincoln Dr Scottsdale, AZ 85253 480.948.1700 HOTEL Castle Hot Springs castlehotsprings.com Hotel Valley Ho hotelvalleyho.com marriott.com DESERT DIAMOND ARENA 9400 W Maryland Ave Glendale, AZ 85305 623.772.3240 LIVE MUSIC/CONCERT VENUE Celebrity Theatre celebritytheatre.com Chandler Center for the Arts chandlercenter.org desertdiamondarena.com ASU GAMMAGE 1200 S Forest Ave Tempe, AZ 85281 480.965.3434 LIVE THEATER Hale Centre Theatre haletheatrearizona.com Ikeda Theater Mesa Arts Center mesaartscenter.com asugammage.com HARKINS THEATER Multiple Locations MOVIE THEATER/BUDGET THEATER AMC Theatres amctheatres.com Pollack Tempe Cinemas pollacktempecinemas.com harkins.com MUSICAL INSTRUMENT MUSEUM MIM 4725 E Mayo Blvd Phoenix, AZ 85050 480.478.6000 MUSEUM Heard Museum heard.org Phoenix Art Museum phxart.org mim.org 2023 WINNERS 2023 FINALISTS ENTERTAINMENT & LEISURE –EAST DENIM & DIAMONDS 7336 E Main St Mesa, AZ 85207 480.832.5000 PLACE TO DANCE San Tan Flat santanflat.com The Stillery thestillery.com denimanddiamondsmesaaz.com GILBERT PLACE TO LIVE Chandler chandleraz.gov Scottsdale scottsdaleaz.gov gilbertaz.gov KMLE COUNTRY 107.9 FM 602.894.5653 RADIO STATION - LOCAL 104.7 KISS FM Phoenix 1047kissfm.iheart.com KJZZ 91.5 FM kjzz.org audacy.com/kmle1079 PHOENIX SUNS 201 E Jefferson St Phoenix, AZ 85004 602.379.7900 SPORTS TEAM - LOCAL Arizona Coyotes nhl.com/coyotes Arizona Diamondbacks mlb.com/dbacks nba.com/suns DESERT BOTANICAL GARDEN 1201 N Galvin Pkwy Phoenix, AZ 85008 480.941.1225 TOURIST/SEASONAL ATTRACTION - LOCAL Old Town Scottsdale oldtownscottsdaleaz.com ZooLights Phoenix Zoo phoenixzoo.org dbg.org ABC 15 - KNXV 515 N 44th St Phoenix, AZ 85008 602.273.1500 TV NEWS - LOCAL 12 News KPNX 12news.com FOX 10 Phoenix KSAZ-TV fox10phoenix.com abc15.com
2023
& LEISURE –EAST
18 | JUNE 2023 | Best of Desert - Community’s Choice Awards 2023 WINNERS 2023 FINALISTS ENTERTAINMENT & LEISURE – EAST SHERATON GRAND AT WILD HORSE PASS 5594 W Wild Horse Pass Blvd Phoenix, AZ 85226 602.225.0100 WEDDING VENUE The Big Tin Cotton Gin mosoevents.com Stonebridge Manor stonebridgemanor.com marriott.com PHOENIX ZOO 455 N Galvin Pkwy Phoenix, AZ 85008 602.286.3800 ZOO OdySea Aquarium odyseaaquarium.com Wildlife World Zoo, Aquarium & Safari Park wildlifeworld.com phoenixzoo.org PEOPLE CHRIS PICCIUOLO O’odham Action News 10005 E. Osborn Rd Scottsdale, AZ 85256 480.362.7750 COLUMNIST/NEWS REPORTER Emma Jade KPNX 12 News NBC 12news.com Laurie Roberts The Arizona Republic azcentral.com oan.srpmic-nsn.gov 2023 WINNERS 2023 FINALISTS FINANCE– EAST PWC PricewaterhouseCoopers LLP Multiple Locations ACCOUNTING FIRM Henry & Horne, LLP Koeller Thompson CPAs, PLLC ktcpas.com pwc.com/us/en CHASE BANK Multiple Locations 800.935.9935 BANK Bank of America bankofamerica.com Wells Fargo wellsfargo.com chase.com DESERT FINANCIAL CREDIT UNION Multiple Locations 602.433.5626 CREDIT UNION Arizona Financial Credit Union arizonafinancial.org OneAZ Credit Union oneazcu.com desertfinancial.com AMERICAN RETIREMENT ADVISORS 14861 N Scottsdale Rd Scottsdale, AZ 85254 602.281.3898 FINANCIAL PLANNING SERVICES Edward Jones edwardjones.com NOW Financial nowfinancialaz.com americanretirementadvisors.com BANK OF AMERICA Multiple Locations 800.432.1000 MORTGAGE LENDING COMPANY AmeriFirst Financial, Inc. amerifirstloan.com PNC Bank pnc.com bankofamerica.com H&R BLOCK 5130 N 19th Ave Ste 6 Phoenix, AZ 85015 602.242.5120 TAX PREPARATION SERVICES A to Z Tax Service tax-law.com/SusanKSmith.aspx Teachers’ Tax Service teacherstaxservice.com hrblock.com
Best of Desert - Community’s Choice Awards | JUNE 2023 | 19
you for your support in nominating Fulton Homes for “Best Homebuilder in the East & West Valleys”. We are dedicated to not just building quality homes, but thriving communities where families grow, memories flourish, and dreams come to life.
are Proud to be Arizona’s Best Homebuilder. FultonHomes.com
Thank
We
20 | JUNE 2023 | Best of Desert - Community’s Choice Awards 2023 WINNERS 2023 FINALISTS HOME & HOME SERVICES– EAST OPTIMA KIERLAND APARTMENTS 7160 E Kierland Blvd Scottsdale, AZ 85254 602.671.3648 APARTMENT COMPLEX San Carlos Apartments simpsonpropertygroup.com Vista Grove Apartments vistagroveapthomes.com optimakierlandapartments.com SOLTERRA SENIOR LIVING Multiple Locations ASSISTED/SENIOR LIVING Maravilla Scottsdale Find Us On Facebook The Village at Ocotillo srgseniorliving.com Liv Communities livcommunities.com solterrasl.com IMAGINE BACKYARD LIVING 15551 N Greenway Hayden Loop Scottsdale, AZ 85260 480.607.3529 BACKYARD CONSTRUCTION COMPANY Creative Environments Design, Pool, & Landscape creativeenvironments.com Paradise Greens & Turf paradisegreens.com imaginebackyard.com DIAMOND KITCHEN & BATH Multiple Locations 602.246.1518 BATHROOM/KITCHEN REMODELING COMPANY D & R Design dandrdesignaz.com Est Est Inc. estestinc.com diamondkitchenandbath.com DIAMOND KITCHEN & BATH Multiple Locations 602.246.1518 CABINET COMPANY Closet Masters closetmasters.net Regal Bath and Kitchens regalbathandkitchens.com diamondkitchenandbath.com FULTON HOMES 9140 S Kyrene Rd #202 Tempe, AZ 85284 480.753.6789 CUSTOM HOME BUILDER Meritage Homes meritagehomes.com Starwood Custom Homes starwoodcustom.com fultonhomes.com EAST Home & Home Services Retirement/55+ Community Solterra Senior Living (Scottsdale) 1/4 page package $2,488.60 GCI1069603-02
Best of Desert - Community’s Choice Awards | JUNE 2023 | 21 Thank You for your Votes for Best Apartment Complex! 602.457.7818 | SanCarlosApts.com 9494 E Redfield Rd, Scottsdale, AZ 85260 AR-GCI1067520-01 FORYOUR SUPPORT! THANK YOU HOMES #202 85284 BUILDER Homes meritagehomes.com Homes starwoodcustom.com fultonhomes.com EAST Home & Home Services Interior Design Company Est Est Inc Basic Package $2,225.56 GCI1068858-03 2023 WINNERS 2023 FINALISTS HOME & HOME SERVICES – EAST FIRST IMPRESSION IRONWORKS 480.339.6145 DOOR COMPANY Energy Shield Window & Door Company energyshieldwindowsanddoors.com Iron Doors Arizona irondoorsarizona.com firstimpressionsecuritydoors.com FULTON HOMES 9140 S Kyrene Rd #202 Tempe, AZ 85284 480.753.6789 HOME BUILDER D & R Design dandrdesignaz.com Woodside Homes woodsidehomes.com fultonhomes.com ENERGY SHIELD ROOM ADDITIONS 19947 Coyote Lakes Pkwy Surprise, AZ 85378 480.258.5261 HOME REPAIR/REMODELING COMPANY D & R Design dandrdesignaz.com Regal Bath and Kitchens regalbathandkitchens.com IMAGINE BACKYARD LIVING 15551 N Greenway Hayden Loop Scottsdale, AZ 85260 480.607.3529 HOT TUBS AZ Spas & Patio azspasandpatio.com Desert Hot Tubs deserthottubs.com imaginebackyard.com EST EST INC. 17770 N Pacesetter Way Scottsdale, AZ 85255 480.563.1555 INTERIOR DESIGN COMPANY D & R Design dandrdesignaz.com Galen Interiors galeninteriors.com estestinc.com TWO MEN AND A TRUCK Multiple Locations MOVING COMPANY Just-In Time Moving & Storage jitmoving.com Muscular Moving Men & Storage muscularmovingmen.com twomenandatruck.com EAST Home & Home Services Apartment Complex San Carlos GCI1067520-01 Basic Package $1,625.56
22 | JUNE 2023 | Best of Desert - Community’s Choice Awards 2023 WINNERS 2023 FINALISTS KIDS & EDUCATION – EAST WHIZ KIDZ PRESCHOOL Multiple Locations CHILD CARE Bright Horizons Family Center ASU Research Park brighthorizons.com Valley Childcare & Learning Center valleylearningcenters.com whizkidzpreschool.com ARIZONA STATE UNIVERSITY 1151 S Forest Ave Tempe, AZ 85281 855.278.5080 COLLEGE/UNIVERSITY Grand Canyon University gcu.edu Northern Arizona University NAU nau.edu asu.edu BALLET ARIZONA 2835 E Washington St Phoenix, AZ 85034 602.381.0184 DANCE STUDIO/SCHOOL Dynamic Motion Dance Academy dmdaaz.com Motivating Movement Creative Space motivatingmovementcs.com balletaz.org PREMIER MARTIAL ARTS Gilbert, AZ 2743 S Market St Suite 107 Gilbert, AZ 85295 480.612.8837 KARATE/MARTIAL ARTS SCHOOL East Valley Martial Arts evma.net Victory Martial Arts victoryma.com premiermartialarts.com THE STUDY COACHES 602.369.4159 LEARNING/TUTORING CENTER Future City futurecity.org Mathnasium of Queen Creek mathnasium.com thestudycoaches.com WHIZ KIDZ PRESCHOOL Multiple Locations PRE-SCHOOL Congregation Beth Israel cbiaz.org Guidepost Montessori guidepostmontessori.com whizkidzpreschool.com EAST Kids & Education Child Care Whiz Kidz Preschool GCI1066558-01 Quarter Pg. $2,638.60 EAST Kids & Education School - Private Gilbert Christian SchoolsGreenfield GCI1062673-01 Basic Package $1,625.56
Best of Desert - Community’s Choice Awards | JUNE 2023 | 23 Best Pre-school Best Childcare Center Thank You For Your Votes for Best Child Care, Best Pre-School Scan Here! 7214 E Jenan Dr. Scottsdale, AZ 85260 480-999-0944 www.whizkidzpreschool.com 5 Valley Locations to serve you! North Phoenix, Scottsdale (x2), Mesa and Ahwatukee Foothills. Thank You for your votes for Best Private School 3 PK-8 CAMPUSES 1 HIGH SCHOOL 2000+ STUDENTS www.gcsaz.org NOW ENROLLING FALL 2023 480.809.6690 2023 WINNERS 2023 FINALISTS KIDS & EDUCATION – EAST WHIZ KIDZ PRESCHOOL Multiple Locations CHILD CARE Bright Horizons Family Center ASU Research Park brighthorizons.com Valley Childcare & Learning Center valleylearningcenters.com whizkidzpreschool.com ARIZONA STATE UNIVERSITY 1151 S Forest Ave Tempe, AZ 85281 855.278.5080 COLLEGE/UNIVERSITY Grand Canyon University gcu.edu Northern Arizona University NAU nau.edu asu.edu BALLET ARIZONA 2835 E Washington St Phoenix, AZ 85034 602.381.0184 DANCE STUDIO/SCHOOL Dynamic Motion Dance Academy dmdaaz.com Motivating Movement Creative Space motivatingmovementcs.com balletaz.org PREMIER MARTIAL ARTS Gilbert, AZ 2743 S Market St Suite 107 Gilbert, AZ 85295 480.612.8837 KARATE/MARTIAL ARTS SCHOOL East Valley Martial Arts evma.net Victory Martial Arts victoryma.com premiermartialarts.com THE STUDY COACHES 602.369.4159 LEARNING/TUTORING CENTER Future City futurecity.org Mathnasium of Queen Creek mathnasium.com thestudycoaches.com WHIZ KIDZ PRESCHOOL Multiple Locations PRE-SCHOOL Congregation Beth Israel cbiaz.org Guidepost Montessori guidepostmontessori.com whizkidzpreschool.com EAST Kids & Education Child Care Whiz Kidz Preschool GCI1066558-01 Quarter Pg. $2,638.60 EAST Kids & Education School - Private Gilbert Christian SchoolsGreenfield GCI1062673-01 Basic Package $1,625.56

South Arizona Ave Chandler, AZ 85248 480.447.0655

743 S Lindsay Rd #105 Gilbert, AZ 85296 480.534.4146

dogtopia.com/south-chandler

happytailsbarkery.co

Dogs 24/7 247.dog

Petco petco.com

Pete and Mac’s Pet Resort - Gilbert petemac.com

Petsmart petsmart.com

HIGLEY

PET CLINIC 866 N Higley Rd #106 Gilbert, AZ 85234 480.396.9800

East Valley Animal Hospital eastvalleyanimal.com

DRY CLEANING prestigecleaners.com

higleyroadpetclinic.com ARTIFICIAL azturfandmore.com PRESTIGE Multiple

24 | JUNE 2023 | Best of Desert - Community’s Choice Awards
WINNERS
2023
CHRISTIAN SCHOOLS Multiple Locations SCHOOL - PRIVATE Brophy College Preparatory brophyprep.org Gilbert Christian Schools gilbertchristianschools.org valleychristianaz.org
PUBLIC SCHOOLS 140 South Gilbert Rd Gilbert , AZ 85296 480.497.3300 SCHOOL - PUBLIC Scottsdale Unified School District susd.org/susd Tempe Elementary School District tempeschools.org gilbertschools.net
PARKS & RECREATION 3939 N. Drinkwater Blvd Scottsdale, AZ 85251 480.312.3111 YOUTH SPORTS FACILITY/COMPLEX Scottsdale/Paradise Valley Family YMCA valleyymca.org Snedigar Recreation Center chandleraz.gov scottsdaleaz.gov 2023 WINNERS 2023 FINALISTS PETS – EAST FRIENDS FOR LIFE ANIMAL RESCUE 952 W Melody Ave Gilbert, AZ 85233 480.497.8296 ANIMAL RESCUE/SHELTER/ADOPTION Arizona Animal Welfare League AAWL aawl.org Arizona Humane Society azhumane.org azfriends.org ARIZONA VETERINARY EMERGENCY & CRITICAL CARE CENTER 86 W Juniper Ave Suite 1 Gilbert, AZ 85233 480.497.0222 EMERGENCY VETERINARY CLINIC 1st Pet Veterinary Centers 1stpetvet.com The Scottsdale Veterinary Clinic scottsdaleveterinaryclinic.com azervets.com AZ PET STYLIST PO Box 775 Queen Creek, AZ 85142 480.326.5298 PET GROOMING COMPANY 4 Paws Pet Resort 4pawspetspa.com Jeannie’s Grooming jeanniesgrooming.com azpetstylist.com DOGTOPIA OF SOUTH CHANDLER 4901
PET KENNEL/BOARDING/DAY CARE
2023 FINALISTS KIDS & EDUCATION – EAST VALLEY
GILBERT
SCOTTSDALE
HAPPY TAILS BARKERY
PET STORE
VETERINARY CLINIC
ROAD
Friends For Life Animal Rescue azfriends.org AZ TURF 602.399.9565
Best of Desert - Community’s Choice Awards | JUNE 2023 | 25 A Firm Focused on Family. Thank You for YOUR VOTES FOR Best Law Firm -Castle Law & Best Divorce Attorney - Jason Castle of Castle Law 1730 East Northern Avenue #204 Phoenix, Arizona 85020 480.542.5885 AR-GCI1063114-01 higleyroadpetclinic.com 2023 WINNERS 2023 WINNERS 2023 FINALISTS 2023 FINALISTS SERVICES – EAST SERVICES – EAST AZ TURF AND MORE 602.399.9565 ARTIFICIAL TURF COMPANY Paradise Greens & Turf paradisegreens.com Turf Monsters turfmonstersaz.com azturfandmore.com ZEROREZ Multiple Locations CARPET/RUG CLEANING COMPANY Arizona Rug Company arizonarug.com COIT Cleaning & Restoration coit.com zerorez.com MAID EASY 4742 N 24th St Ste 300-45 Phoenix, AZ 85016 623.250.0961 CLEANING SERVICE COMPANY 360 Precision Cleaning 360precisioncleaning.com Heavenly Scent Professionals heavenlyscentpros.com maideasyaz.com PRESTIGE CLEANERS Multiple Locations DRY CLEANING COMPANY Natural Dry Cleaners Tide Cleaners tidedrycleanersaz.com prestigecleaners.com EXPRESS FLOORING 4110 W Washington St #100 Phoenix, AZ 85009 480.420.7713 FLOORING INSTALLATION Get Floored getflooredonline.com Maid Right of East Valley maidright.com expressflooring.com DIGNITY MEMORIAL Multiple Locations 623.933.0161 FUNERAL HOME/CREMATORY Bunker Family Funeral Homes bunkerfuneral.com Messinger Pinnacle Peak Mortuary messingermortuary.com dignitymemorial.com EAST Services Law Firm Castle Law GCI1063114-01 half page $5,182.60
26 | JUNE 2023 | Best of Desert - Community’s Choice Awards Thank You For Voting Us For Best (480) 507-2419 zerorez.com/phoenix Carpet Cleaner! Insanely Clean™! Minimums apply. 250 sqft per room. Larger rooms will be counted as 2 or more. $15 environmental fee on every service. Cannot be combined with other offers. Call for details. Expires July 31, 2023. 10% off your cleaning Promo Code: DESERTBEST 2023 WINNERS 2023 WINNERS 2023 FINALISTS 2023 FINALISTS SERVICES – EAST SERVICES – EAST A1 GARAGE DOOR SERVICE 3254 E Broadway Rd Phoenix, AZ 85040 602.563.6467 GARAGE DOOR COMPANY Spring King Garage Door Service Company springkingaz.com The Door Doctor thedoordoctoraz.com a1garage.com PARKER & SONS 3636 E Anne St A Phoenix, AZ 85040 602.273.7247 HEATING/AC SERVICE COMPANY George Brazil Air Conditioning & Heating georgebrazilhvac.com Semper Fi Heating & Cooling semperfiheatingcooling.com parkerandsons.com USAA Multiple Locations INSURANCE AGENCY Chaparral Insurance East Valley Insurance eastvalley-insurance.com usaa.com CASTLE LAW 1730 E Northern Ave Suite 204 Phoenix, AZ 85020 480.542.5885 LAW FIRM DeFusco Law, PLC defuscolaw.com Snell & Wilmer swlaw.com jcastlelaw.com AZ TURF AND MORE 602.399.9565 LAWN CARE/LANDSCAPING COMPANY Creative Environments Design, Pool, & Landscape creativeenvironments.com East Valley Weed Control evweeds.com azturfandmore.com 123EASYMEDICARE 8501 E Princess Dr #210 Scottsdale, AZ 85255 602.281.3898 MEDICARE ADVISOR American Retirement Advisors americanretirementadvisors.com Tammy Semler American Retirement Advisors americanretirementadvisors.com 123easymedicare.com EAST Services Carpet/Rug Cleaning Company Zerorez GCI1065649-02 Basic Package $1,656.50 THE SALVATION ARMY Multiple Locations NON-PROFIT/CHARITY ORGANIZATION Feed My Starving Children fmsc.org Maggie’s Place maggiesplace.org salvationarmy.org PAINTER BROS 602.900.9629 PAINTING COMPANY Ahwatukee Painting Company Desert Guard, LLC painterbros.com INSECTEK PEST SOLUTIONS 1720 E Robin Ln Unit 3 Phoenix, AZ 85024 602.878.7174 PEST CONTROL COMPANY Affordable Pest Control affordablepestservice.com Lady Bug Pest Control ladybugpestcontrol.com insectekpest.com
Best of Desert - Community’s Choice Awards | JUNE 2023 | 27 BIGGESTSALEOFTHEYEAR! 25%OFF YOURENTIREPurchase!* Windows MADE For The Southwest! REPLACEMENT WINDOWS & DOORS TITAN SECURITY DOORS FINANCING AVAILABLE FAMILY OWNED SINCE 1999 WWW.DesertKingWindows.com 602-603- KING (5464) Thank You for Voting Us Best Window Company! AR-GCI1064289-04

Desert - Community’s Choice Awards

Find out more by visiting the EVENTS tab at SalvationArmyPhoenix.org.

The Salvation Army Silver Bell Celebration is a prelude to the Army’s largest annual fundraiser, the iconic Red Kettle Campaign.

This event will be filled with food, fellowship, a fun and exciting auction of great items, and learning more about the many ways The Salvation Army changes lives for the better for our neighbors in need.

By generously purchasing event tickets and/or sponsorships, you can help local families put food on the table, pay bills, and stay in their homes.

28 | JUNE 2023 | Best of
AR-GCI1066622-02
2023, 10 a.m.
Nov. 17,
to 1 p.m., Phoenix Zoo
heartfelt thanks to everyone who voted for The Salvation Army
a Best of the Desert award. THE SALVATION ARMY CELEBRATION 2023 WINNERS 2023 FINALISTS SERVICES – EAST PARKER & SONS 3636 E Anne St A Phoenix, AZ 85040 602.273.7247 PLUMBING COMPANY Ben Franklin Plumbing benfranklinplumbingaz.com Kendall Plumbing & Rooter kendallplumbingandrooter.com parkerandsons.com SCOTT ROOFING COMPANY 24777 N 15th Ave Phoenix, AZ 85085 602.442.7663 ROOFING COMPANY Brown Roofing brownroofingaz.com Elite Roofing Supply eliteroofingsupply.com scottroofingco.com PUBLIC STORAGE Multiple Locations SELF-STORAGE COMPANY PODS pods.com U-Haul uhaul.com publicstorage.com 2023 WINNERS 2023 FINALISTS SERVICES – EAST PEOPLE SEA OF INK TATTOO STUDIO 4022 E Main St Mesa, AZ 85205 480.830.9237 TATTOO STUDIO Golden Rule Tattoo goldenruletattoo.com Hotrod Tattoo hotrodtattoo.com seaofinktattoo.com AAA Multiple Locations 800.222.4357 TRAVEL AGENCY Camelback Odyssey Travel camelbacktravel.com Voight Travel Find Us On Facebook aaa.com KINETICO WATER SYSTEMS 3304 North Delaware St Chandler, AZ 85225 602.357.9381 WATER TREATMENT/FILTRATION City of Phoenix phoenix.gov H2o Concepts h2oconcepts.com kineticoaz.com DESERT KING WINDOWS 2615 S 21st St Phoenix, AZ 85034 480.613.9943 WINDOW COMPANY Energy Shield Window & Door Company energyshieldwindowsanddoors.com Renewal by Andersen renewalbyandersen.com Window World windowworld.com desertkingwindows.com JASON CASTLE Castle Law 1730 E Northern Ave Ste 204 Phoenix, AZ 85020 480.542.5885 ATTORNEY - DIVORCE James E. Padish Padish Law Group padishlaw.com Law Office of Katherine Kraus, PLLC krauslawfirm.com jcastlelaw.com EXPRESS 4110 W Phoenix, 480.420.7713 FLOORING EAST Services Non-Profit/Charity Organization The Salvation Army Basic Package $1,625.56 GCI1066622-02
Our
for

SHOPPING – EAST 2023 WINNERS

4110 W Washington St #100 Phoenix, AZ 85009 480.420.7713

Floor & Decor® flooranddecor.com

GILBERT FARMERS MARKET

222 N Ash St Gilbert, AZ 85234

2023 FINALISTS

mysisterscloset.com

gilbertmarket.com

Downtown Chandler Farmers Market downtownchandler.org

Old Town Scottsdale Farmers Market arizonacommunityfarmersmarkets.com

Best of Desert - Community’s Choice Awards | JUNE 2023 | 29 STORAGE Locations COMPANY publicstorage.com 2023 WINNERS
FINALISTS SHOPPING SPENCER’S TV & APPLIANCE Multiple Locations APPLIANCE STORE Costco costco.com The Home Depot homedepot.com spencerstv.com LIVING SPACES 6600 W Latham St Phoenix, AZ 85043 877.266.7300 BACKYARD FURNITURE/PATIO STORE Ashley ashleyfurniture.com Today’s Pool & Patio todayspatio.com livingspaces.com CHANGING HANDS BOOKSTORE 300 W Camelback Rd Phoenix, AZ 85013 602.274.0067 BOUTIQUE Krush Kandy Boutique krushkandy.com Painted Tree Boutiques paintedtree.com changinghands.com DAVID’S BRIDAL 5043 E Ray Rd Phoenix, AZ 85044 480.785.7300 BRIDAL/FORMALWEAR BOUTIQUE Amy Bridal Find Us On Facebook Azteca Bridal azbride.com davidsbridal.com MY SISTER’S CLOSET 2502 E Camelback Rd Suite 175 Phoenix, AZ 85016 602.954.6080 CONSIGNMENT STORE Once Upon A Child onceuponachildahwatukeephoenix.com The White Dove Thrift Shoppes whitedovethrift.org
2023
FARMERS MARKET
EXPRESS FLOORING
FLOORING STORE
Get Floored getflooredonline.com expressflooring.com LUNA WOOD FLOWERS 10550 E Baseline Rd Mesa, AZ 85209 605.770.2587 FLORIST SHOP Cactus Flower cactusflower.com La Paloma Flowers lapalomaflowers.net Find Us On Facebook ARCHER KING DESIGNS 10550 E Baseline Rd Mesa, AZ 85209 FURNITURE STORE American Furniture Warehouse afw.com Living Spaces livingspaces.com Copenhagen copenhagenliving.com archerkingdesigns.com MOON VALLEY NURSERIES 14225 N 7th St Phoenix, AZ 85022 602.904.5792 GARDEN CENTER/NURSERY Lowe’s lowes.com Whitfill Nursery whitfillnursery.com moonvalleynurseries.com FRY’S MARKETPLACE 4707 E Shea Blvd Phoenix, AZ 85028 480.367.3940 GROCERY STORE Safeway safeway.com Sprouts Farmers Market sprouts.com frysfood.com ARCHER KING DESIGNS 10550 E Baseline Rd Mesa, AZ 85209 HOME GOODS/DÉCOR HomeGoods homegoods.com Pottery Barn potterybarn.com archerkingdesigns.com
30 | JUNE 2023 | Best of Desert - Community’s Choice Awards 2023 WINNERS
FINALISTS
NELSON ESTATE JEWELERS 2051 S Dobson Rd Ste 10 Mesa, AZ 85202 480.459.9867 JEWELRY STORE Krush Kandy Boutique krushkandy.com Robbins Brothers robbinsbrothers.com nelsonestatejewelers.com HEALTH FOR LIFE Medical & Recreational Cannabis Dispensary Multiple Locations MARIJUANA DISPENSARY Curaleaf curaleaf.com Mint mintdeals.com Sunday Goods sundaygoods.com healthforlifeaz.com BROOKLYN BEDDING 5301 W Bethany Home Rd Glendale, AZ 85301 623.624.1222 MATTRESS STORE Mattress Firm mattressfirm.com Tuft & Needle tuftandneedle.com brooklynbedding.com NORDSTROM 7055 E Camelback Rd Scottsdale, AZ 85251 480.946.4111 MEN’S CLOTHING STORE Lululemon Athletica shop.lululemon.com Nick’s Menswear nicksmenswear.com nordstrom.com DSW Designer Shoe Warehouse 21001 N Tatum Blvd Phoenix, AZ 85050 480.513.9348 SHOE STORE Famous Footwear famousfootwear.com Nordstrom nordstrom.com dsw.com KRUSH KANDY
CLOTHING STORE Kohl’s kohls.com Macy’s macys.com krushkandy.com 2023 WINNERS 2023 FINALISTS SPIRITS – EAST TREVOR’S LIQUOR Multiple Locations BAR Senna House Scottsdale Curio Collection by Hilton thesennahouse.com Rusty Spur Saloon rustyspursaloon.com trevors.com HASH KITCHEN 8777 N Scottsdale Rd Scottsdale, AZ 85253 480.947.3214 BLOODY MARY 32 Shea 32shea.com U.S. Egg Breakfast & Lunch Restaurant useggrestaurant.com hashkitchen.com SANTAN BREWING COMPANY Multiple Locations BREWPUB/BREWERY Arizona Wilderness azwbeer.com O.H.S.O Brewery & Distillery ohsobrewery.com santanbrewing.com POSTINO Multiple Locations HAPPY HOUR Senna House Scottsdale Curio Collection by Hilton thesennahouse.com Roaring Fork roaringfork.com postinowinecafe.com TOTAL WINE & MORE Multiple Locations LIQUOR STORE BevMo! bevmo.com Trevor’s Liquor trevors.com totalwine.com TREVOR’S LIQUOR Multiple Locations MARGARITA Modern Margarita modernmargarita.com Taqueria Factory taqueriafactory.com trevors.com TREVOR’S Multiple
2023
SHOPPING – EAST
BOUTIQUE WOMEN’S
Best of Desert - Community’s Choice Awards | JUNE 2023 | 31 2023 WINNERS 2023 FINALISTS SPIRITS – EAST TREVOR’S LIQUOR Multiple Locations SPORTS BAR Cold Beers & Cheeseburgers coldbeers.com Zipps Sports Grill zippssportsgrills.com trevors.com TOTAL WINE & MORE Multiple Locations WINE STORE Duck and Decanter duckanddecanter.com Trevor’s Liquor trevors.com totalwine.com TREVOR’S LIQUOR Multiple Locations WINERY Arizona Stronghold Vineyards azstronghold.com Postino postinowinecafe.com trevors.com 2023 WINNERS 2023 FINALISTS SPORTS & FITNESS – EAST TOPGOLF Multiple Locations DRIVING RANGE Augusta Ranch Golf Club augustaranchgolf.com Coronado Golf Course and Lighted Driving Range coronadogolfscottsdale.com topgolf.com EŌS FITNESS Multiple Locations FITNESS CENTER/GYM Life Time lifetime.life OHM Fitness ohmfitness.com eosfitness.com MCCORMICK RANCH GOLF CLUB 7505 E McCormick Pkwy Scottsdale, AZ 85258 480.948.0260 GOLF COURSE Augusta Ranch Golf Club augustaranchgolf.com Starfire Golf Club starfiregolfclub.com mccormickranchgolf.com TOPGOLF Multiple Locations GOLF SHOP 2nd Swing 2ndswing.com Van’s Golf Shops worldwidegolfshops.com topgolf.com WIND CAVE TRAIL Usery Mountain Regional Park 3939 N Usery Pass Rd Mesa, AZ 85207 602.506.2930 HIKING TRAIL Camelback Mountain Hiking Trail climbcamelback.com Piestewa Peak Trailhead phoenix.gov maricopacountyparks.net
32 | JUNE 2023 | Best of Desert - Community’s Choice Awards Thank you Arizona For Proudly Serving the Community 13636 N. Tatum Blvd. [SW Corner of Tatum and Thunderbird] 602-404-1515 480-464-5565 522 N. Country Club, Mesa [2 Blks N. of University] 4010 N.W. Grand [Between Indian School & Camelback] (closed Thursday and Saturday) 602-246-1518 5710 W. [NW Corner of 602-633-2286 100’s of Styles/Colors Available!! HUGE SAVINGS STOREWIDE Hottest Granite/ Quartz Prices in Town!! 40% OFF KraftMaid Cabinetry!! Our Cabinets Are American Made! AR-GCI1066856-10
Best of Desert - Community’s Choice Awards | JUNE 2023 | 33 10’ X 10’ KITCHENS STARTING FROM $1199 FREE: Wood Dovetail Drawer Boxes FREE: Soft Close Drawer Guides For Your Votes! Community For Over 36 Years! MON-FRI 9-5 • SAT 10-3 • ROC. #066874 W. Bell Road of 57th Ave and Bell] 602-633-2286 www.DiamondKitchenAndBath.com A+ Rating with BBB!!
34 | JUNE 2023 | Best of Desert - Community’s Choice Awards 2023 WINNERS 2023 FINALISTS SPORTS & FITNESS – EAST PEOPLE SPINNERS ON THE GREEN 7607 E McDowell Rd Ste 115 Scottsdale, AZ 85257 480.941.2513 SPORTING GOODS/OUTDOOR STORE DICK’S Sporting Goods dickssportinggoods.com REI rei.com spinnersonthegreen.com NICOLE ANNE YOGA & HOLISTIC WELLNESS 602.600.0430 YOGA/PILATES STUDIO Delta Pilates deltapilates.com The Foundry Yoga thefoundryyoga.com nicoleanneyoga.com MICHELLE GERMAN Orange Theory Fitness 742 E Glendale Ave Ste 172 Phoenix, AZ 85020 602.749.1111 PERSONAL TRAINER Jason Sani OHM Fitness ohmfitness.com Scott Keppel Scott’s Training Systems scottstrainingsystems.com orangetheory.com 2023 WINNERS
FINALISTS
– EAST EMBARK BEHAVIORAL HEALTH Multiple Locatons LOCALLY OWNED BUSINESS Mathnasium of Queen Creek mathnasium.com Serendipit Consulting serendipitconsulting.com embarkbh.com EMBARK BEHAVIORAL HEALTH Multiple Locatons PLACE TO WORK Mathnasium of Queen Creek mathnasium.com Trevor’s Liquor trevors.com embarkbh.com AUTO AUTO DEALER
2023
TOP EMPLOYERS
Best of Desert - Community’s Choice Awards | JUNE 2023 | 35 Limit one (1) Super Protect Express Exterior Car Wash per customer. Cannot be combined with any other offers. No cash value. Other terms and conditions may apply. THANK YOU for nominating us Best Car Wash of the Desert 2023 WINNERS 2023 FINALISTS VEHICLES, DEALERS & SERVICES – EAST AUTO HOUSE TEMPE 360 S Smith Rd Tempe, AZ 85281 480.966.3787 AUTO DEALER SERVICE DEPARTMENT Bell Lexus North Scottsdale belllexusnorthscottsdale.com Camelback Toyota camelbacktoyota.com autohouse.com SAFELITE AUTOGLASS Scottsdale 8175 E Raintree Dr Ste 1 Scottsdale, AZ 85260 480.428.3513 AUTO GLASS REPAIR COMPANY Camelback Auto Glass camelbackautoglass.com Pinnacle Auto Glass pinnacleautoglass.com safelite.com AUTO HOUSE SCOTTSDALE 7434 E Monte Cristo Ave Scottsdale, AZ 85260 480.542.5030 AUTO REPAIR SHOP AZ Auto Tech azautotech.net AZ Automasters azautomasters.com autohouse.com QUICK QUACK CAR WASH 910 E Bell Rd Phoenix, AZ 85022 480.530.0424 CAR WASH/DETAIL SHOP Cobblestone Auto Spa cobblestone.com Super Star Car Wash superstarcarwashaz.com dontdrivedirty.com EARNHARDT HYUNDAI 8445 E Frank Lloyd Wright Blvd Scottsdale, AZ 85260 480.922.5200 NEW CAR DEALERSHIP Bell Lexus North Scottsdale belllexusnorthscottsdale.com Tesla tesla.com northscottsdalehyundai.com EAST Vehicles, Dealers & Services Car Wash/Detail Shop Super Star Car Wash GCI1056008-01 Quarter Page $2,488.60 2023 WINNERS 2023 FINALISTS VEHICLES, DEALERS & SERVICES – EAST AUTO HOUSE TEMPE 360 S Smith Rd Tempe, AZ 85281 480.966.3787 OVERALL AUTO DEALERSHIP Bell Lexus North Scottsdale belllexusnorthscottsdale.com Bill Luke Tempe billluketempe.com autohouse.com LA MESA RV CENTER 7525 W McDowell Rd Phoenix, AZ 85035 833.626.2143 RV DEALERSHIP Little Dealer Little Prices littledealer.com Robert Crist and Company RV rvsrfun.com lamesarv.com DISCOUNT TIRE 2301 N Scottsdale Rd Scottsdale, AZ 85257 480.994.5336 TIRE CENTER Big O Tires® bigotires.com Firestone Complete Auto Care firestonecompleteautocare.com/ discounttire.com

of Desert - Community’s Choice Awards

36 | JUNE 2023 |
LIVINGSTON HEARING Multiple 866.210.3942 AUDIOLOGY DENTAL STUDIOS 7025 N Glendale, 623.759.7655 COSMETIC BEAUTY & HEALTH – WEST Audiology Clinic 37 Barber Shop���������������������������������������������� 37 Brow/Lash/Waxing Treatment 37 Cancer Center 37 Cardiology Clinic/Hospital 37 Chiropractic Clinic 37 Cosmetic Dentistry 37 Cosmetic/Plastic Surgery Center ��������������� 37 Dental Clinic 37 Dermatology Clinic 37 Eye Care Clinic 37 Facials 37 Family Practice 39 Hair Salon 39 Hearing Aid/Hearing Specialist Center 39 Hospice 39 Hospital Emergency Room 39 Hospital/Medical Center 39 LASIK Surgery Center 39 Massage Therapy 39 Maternity & Childbirth Center 39 Medical Supply Store 39 Medical/Doctor’s Office 39 Nail Salon - Manicure/Pedicure 39 Nutrition/Vitamin/Supplement Store ������� 40 Orthodontic Clinic 40 Orthopedic Center 40 Pain Management Clinic 40 Pediatric Clinic 40 Pediatric Dental Clinic 40 Physical Therapy Clinic ������������������������������ 40 Spa/Medical Spa 40 Urgent Care/Walk-In Clinic 40 Weight Loss Center 40 DINING – WEST All-Around Restaurant 41 Appetizers 41 Bakery 41 BBQ 41 Breakfast 41 Brunch 41 Burger 42 Caterer/Catering Company 42 Chinese Food �������������������������������������������� 42 Dessert 42 Doughnut Shop 42 Fast Food �������������������������������������������������� 42 Fine Dining 42 Greek Food 42 Ice Cream/Frozen Yogurt 42 Italian Food 42 Japanese Food 42 Local Coffee Shop 42 Lunch 43 Mexican Food 43 Outdoor/Patio/Rooftop Dining 43 Pizza ��������������������������������������������������������� 43 Romantic Restaurant 43 Seafood Restaurant 43 Steakhouse 43 Sub/Deli/Sandwich Shop 43 Sushi 43 Thai Food 43 Vegetarian/Vegan/Gluten-Free Food 43 Wings 43 ENTERTAINMENT & LEISURE – WEST Art Gallery 44 Birthday Party Venue 44 Casino 44 Event - Local 44 Event Venue 44 Family Amusement 44 Fundraising Event 45 Hotel �������������������������������������������������������� 45 Live Music/Concert Venue 45 Live Theater 45 Movie Theater/Budget Theater 45 Museum 45 Place to Dance ������������������������������������������ 46 Place to Live 46 Radio Station - Local 46 Sports Team - Local 46 Tourist/Seasonal Attraction - Local 46 TV News - Local 46 Wedding Venue ���������������������������������������� 46 Zoo 46 Columnist/News Reporter 46 FINANCE – WEST Accounting Firm ��������������������������������������� 47 Bank 47 Credit Union 47 Financial Planning Services 47 Mortgage Lending Company 47 Tax Preparation Services 47 HOME & HOME SERVICES –WEST Assisted/Senior Living 48 Backyard Construction Company 48 Bathroom/Kitchen Remodeling Company 48 Cabinet Company ������������������������������������� 48 Custom Home Builder 48 Door Company 48 Home Builder 50 Home Repair/Remodeling Company 50 Hot Tubs 50 Interior Design Company �������������������������� 50 Moving Company 50 Multi Family Developer 50 Real Estate Company 50 Retirement/55+ Community 50 Swimming Pool/Spa 50 Real Estate Agent 50 KIDS & EDUCATION – WEST Child Care 51 College/University 51 Dance Studio/School 51 Karate/Martial Arts School 51 Learning/Tutoring Center 51 Pre-School 51 School - Private 53 School - Public 53 Youth Sports Facility/Complex ������������������ 53 PETS – WEST Animal Rescue/Shelter/Adoption 53 Emergency Veterinary Clinic ��������������������� 53 Pet Grooming Company 53 Pet Kennel/Boarding/Day Care 53 Pet Store 53 Veterinary Clinic 53 SERVICES – WEST Artificial Turf Company ����������������������������� 54 Carpet/Rug Cleaning Company 54 Dry Cleaning Company 54 Flooring Installation 54 Funeral Home/Crematory 54 Garage Door Company 54 Heating/AC Service Company 55 Insurance Agency 55 Law Firm 55 Lawn Care/Landscaping Company 55 Medicare Advisor 55 Non-Profit/Charity Organization 55 Painting Company 55 Pest Control Company 55 Plumbing Company 55 Roofing Company 55 Self-Storage Company 55 Tattoo Studio 55 Travel Agency 56 Water Treatment/Filtration 56 Window Company 56 Attorney - Divorce 56 SHOPPING – WEST Appliance Store 58 Backyard Furniture/Patio Store 58 Boutique 58 Bridal/Formalwear Boutique 58 Consignment Store ����������������������������������� 58 Farmers Market ���������������������������������������� 58 Flooring Store ������������������������������������������� 58 Florist Shop ���������������������������������������������� 58 Furniture Store 58 Garden Center/Nursery 58 Grocery Store 58 Home Goods/Décor 58 Jewelry Store 59 Marijuana Dispensary 59 Mattress Store 59 Men’s Clothing Store 59 Shoe Store 59 Women’s Clothing Store 59 SPIRITS – WEST Bar 60 Bloody Mary 60 Brewpub/Brewery ������������������������������������ 60 Happy Hour 60 Liquor Store 60 Margarita 60 Sports Bar 60 Wine Store 60 Winery 60 SPORTS & FITNESS – WEST Driving Range 61 Fitness Center/Gym 61 Golf Course 61 Golf Shop �������������������������������������������������� 61 Hiking Trail 61 Sporting Goods/Outdoor Store 61 Yoga/Pilates Studio 61 Personal Trainer 61 TOP EMPLOYERS – WEST Locally Owned Business 61 Place to Work 61 VEHICLES, DEALERS & SERVICES – WEST Auto Dealer Service Department 62 Auto Glass Repair Company ���������������������� 62 Auto Repair Shop 62 Car Wash/Detail Shop 62 New Car Dealership 62 Overall Auto Dealership 62 RV Dealership 62 Tire Center 62 TABLE OF CONTENTS – WEST YOUR 2023 WEST VALLEY WINNERS AND FINALISTS Celebrating IN PARTNERSHIP WITH &
Best

Ascent

DANNY’S

LASH STUDIO

amazinglashstudio.com

2023 FINALISTS

AZ Prestige Lash and Brow azprestigelashandbrow.com

COSMETIC DENTISTRY

DENTAL DESIGN STUDIOS

7025 N 75th Ave Ste 101 Glendale, AZ 85303 623.759.7655

SEAN LILLE, MD, PC

N. 92nd Street, Suite 203 Scottsdale, AZ 85258 480.661.6197

Eye Tactics Lash Lift Studio eyetactics.com

BEAUTY & HEALTH – WEST

2023 WINNERS

DENTAL

7025 N 75th Ave #101 Glendale, AZ 85303 602.759.7655

BEATRICE

CLEAR VISION

OPHTHALMOLOGY Multiple Locations

CHIROPRACTIC CLINIC

18275 N 59th Ave Ste M-178 Glendale, AZ 85308 602.603.5444

trinitychiroaz.com

The Joint Chiropractic thejoint.com Valley Spinal Care valleyspinalcare.com

UPTOWN MEDISPA Multiple Locations

ddsarizona.com

AZ Cosmetic and Family Dentistry azfamilydentistry.com

Valley Dental Center

scottsdaleplasticsurgeon.com

John Williams, MD Plastic Surgery johnwilliamsmd.com

Peoria Cosmetic Surgery peoriacosmeticsurgery.com

ddsarizona.com

usdermatologypartners.com

2023 FINALISTS

Rolfe Family and Cosmetic Dentistry rolfedentistry.com

Singh Smile Care singhsmilecare.com

Banner Health bannerhealth.com

cvoeyes.com

Target Optical targetoptical.com

uptownmedispa.com

Epiphany Dermatology epiphanydermatology.com

West Valley Vision Center westvalleyvision.com

Trinity Chiropractic Aesthetics Find Us On Facebook

Best of Desert - Community’s Choice Awards | JUNE 2023 | 37
WINNERS
AID CENTER Multiple Locations 866.210.3942 AUDIOLOGY CLINIC
2023
BEAUTY & HEALTH – WEST LIVINGSTON HEARING
Audiology
ascentaudiologyarizona.com Happy Ears Hearing Center happyearshearing.com lhac.com
& Hearing
17650
BARBER SHOP
SHAVE PARLOR
W Elliot Rd Suite A125 Goodyear, AZ 85338 623.213.7604
AZ Barber Studio Master Phades masterphades.com Keep It Cut keepitcut.com dannysshaveparlor.as.me
AMAZING
Multiple Locations BROW/LASH/WAXING TREATMENT
arizonaoncology.com
CARDIOLOGY
Phoenix
abrazohealth.com
ARIZONA ONCOLOGY Multiple Locations CANCER CENTER City of Hope - Phoenix cancercenter.com Palo Verde Cancer Specialists pvhomed.com
ABRAZO ARIZONA HEART HOSPITAL 1930 E Thomas Rd Phoenix, AZ 85016 602.532.1000
CLINIC/HOSPITAL Arizona Heart Specialists arizonaheartspecialists.com
Heart phoenixheart.com
TRINITY CHIROPRACTIC
COSMETIC/PLASTIC SURGERY CENTER
10210
DESIGN STUDIOS
DENTAL CLINIC
DERMATOLOGY CLINIC
KELLER CLINIC Multiple Locations
EYE CARE CLINIC
FACIALS Salon Blissful salonblissful.com
38 | JUNE 2023 | Best of Desert - Community’s Choice Awards Schedule an appointment today on our website at ddsarizona.com or call us at 602-775-5656 9 Locations Across the Valley YOUR SMILE IS OUR PRIORITY COMPLETE NEW PATIENT EXAM FULL SERIES OF X-RAYS, HEALTHY GUM CLEANING $75 COMPLETE PATIENT IMPLANT, ABUTMENT, AND IMPLANT CROWN $2750 COMPLETE ORTHO TREATMENT  CLEAR ALIGNER ORTHODONTIC TREATMENT & TWO RETAINERS. $4400 THANK YOU FOR VOTING US BEST OF THE WEST VALLEY! THANK YOU FOR VOTING US BEST OF THE EAST VALLEY! • Dental Clinic • Cosmetic Dentist • Pediatric Dentist • Dental Clinic WEST Beauty & Health Cosmetic Dentistry Dental Design Studio (75th Avenue Dental Studio) Half page $3,982.60 GCI1057512-02 2023 WINNERS 2023 FINALISTS BEAUTY & HEALTH – WEST SONORAN MEDICAL CENTERS 19875 N 51st Ave Glendale, AZ 85308 623.581.8998 FAMILY PRACTICE Arizona Community Physicians azacp.com Nally Family Practice docmuscles.com sonoranmed.com HAIR BY NIKI G 15288 W Brookside Ln Surprise, AZ 85374 623.680.0391 HAIR SALON Bloom Salon bloomsalonaz.com Salon Blissful salonblissful.com Find Us On Facebook LIVINGSTON HEARING AID CENTER Sun City West, AZ 85375 Sun City West, AZ 85375 480.305.0373 HEARING AID/HEARING SPECIALIST CENTER Ascent Audiology & Hearing ascentaudiologyarizona.com Costco Hearing Center costco.com lhac.com HOSPICE OF THE VALLEY Multiple Locations 602.530.6900 HOSPICE Dignity Hospice dignityhospiceaz.com Faith Hospice faithofaz.com hov.org BANNER ESTRELLA MEDICAL CENTER 9201 W Thomas Rd Phoenix, AZ 85037 623.327.4000 HOSPITAL EMERGENCY ROOM Banner Thunderbird Medical Center Banner Health bannerhealth.com HonorHealth honorhealth.com bannerhealth.com BANNER THUNDERBIRD MEDICAL CENTER Banner Health 5555 W Thunderbird Rd Glendale, AZ 85306 602.865.5555 HOSPITAL/MEDICAL CENTER Banner Estrella Medical Center bannerhealth.com St. Joseph’s Hospital and Medical Center Dignity Health dignityhealth.org bannerhealth.com ARIZONA EQUIPMENT & 4225 W Glendale Phoenix, 623.266.7255 MEDICAL Copper Medical copperstarhomemedical.com Leader leadermedicalsupplies.com
Best of Desert - Community’s Choice Awards | JUNE 2023 | 39 Thank You For Voting Us For Best Weight Loss Center! GLENDALE 6008 W BELL RD F101 GLENDALE, AZ 85308 602.374.3374 PHOENIX 3801 N 24TH ST PHOENIX, AZ 85016 602.441.3305 TEMPE 3141 S MCCLINTOCK DR #4 TEMPE, AZ 85282 480.968.5673 1,500,000 lbs number of pounds lost 13 Years Number of Years in Business 68,000+ Number of Patients Treated AR-GCI1056096-01 WEST Beauty & Health Weight Loss Center Valley Medical Weight Loss, Semaglutide, Botox (Glendale) GCI1056096-01 half Page $3,982.60 THUNDERBIRD CENTER Health Thunderbird Rd 85306 CENTER Estrella Center bannerhealth.com Hospital Center Health dignityhealth.org bannerhealth.com 2023 WINNERS 2023 WINNERS 2023 FINALISTS 2023 FINALISTS BEAUTY & HEALTH – WEST BEAUTY & HEALTH – WEST THE LASIK VISION INSTITUTE 2929 E Camelback Rd Ste 110 Phoenix, AZ 85016 877.274.1797 LASIK SURGERY CENTER Barnet Dulaney Perkins Eye Center goodeyes.com Moretsky Cassidy Vision Correction arizonalasik.com lasikvisioninstitute.com MASSAGE ENVY Multiple Locations MASSAGE THERAPY Hand & Stone Massage and Facial Spa Peoria handandstonepeoria.com Massage at Arrowhead Creekside arrowheadmassageandwellness.com massageenvy.com ESTRELLA WOMEN’S HEALTH CENTER Multiple Locations MATERNITY & CHILDBIRTH CENTER Family First Midwifery familyfirstmidwifery.com New Start Women’s Care newstartwomenscare.com womenshealthaz.com ARIZONA MEDICAL EQUIPMENT & SUPPLY 4225 W Glendale Ave Ste C106 Phoenix, AZ 85051 623.266.7255 MEDICAL SUPPLY STORE Copper Star Home Medical Supplies copperstarhomemedical.com Leader Medical Supplies leadermedicalsupplies.com azmeds.net NORTH VALLEY FAMILY MEDICINE 6320 W Union Hills Dr #2800 Glendale, AZ 85308 623.322.4991 MEDICAL/DOCTOR’S OFFICE Lisa Hunt MD PLC Banner Health bannerhealth.com Northwest Family Clinic Find Us On Facebook nvfm.com ARROWHEAD NAIL MALL & SPA 17275 N 79th Ave #103 Glendale, AZ 85308 623.334.6911 NAIL SALON - MANICURE/PEDICURE Nails by Andy Find Us On Facebook Pinky Nails & Spa pinkynailsandspaphoenix.com Find Us On Facebook
40 | JUNE 2023 | Best of Desert - Community’s Choice Awards 2023 WINNERS
FINALISTS
DISCOUNT NUTRITION SUPERSTORE Multiple Locations NUTRITION/VITAMIN/ SUPPLEMENT STORE GNC gnc.com The Vitamin Shoppe vitaminshoppe.com discountnutritionsuperstore.com HILGERS ORTHODONTICS ORTHODONTIC CLINIC Olson Orthodontics olsonortho.com Smile Straight Orthodontics smilestraightphx.com hilgersorthodontics.com THE CORE INSTITUTE Multiple Locations ORTHOPEDIC CENTER Arizona Orthopedic & Fracture Surgeons azofs.com OrthoArizona orthoarizona.org thecoreinstitute.com THE PAIN CENTER OF ARIZONA Multiple Locations PAIN MANAGEMENT CLINIC Arizona Pain Relief arizonapainrelief.com Arizona Pain Care Center azpaincarecenter.com thepaincenter.com WEST PHOENIX PEDIATRICS 9305 W Thomas Rd #450 Phoenix, AZ 85037 623.889.6186 PEDIATRIC CLINIC Arizona Kids Pediatrics arizonakidspediatrics.com AZ Pediatric Care azpedcare.com westphoenixpeds.com DENTAL DESIGN STUDIOS 7025 N 75th Ave Ste 101 Glendale, AZ 85303 623.759.7655 PEDIATRIC DENTAL CLINIC Palm Valley Pediatric Dentistry & Orthodontics Goodyear pvpd.com West Valley Pediatric Dentistry & Orthodontics wvpd.com ddsarizona.com 2023 WINNERS 2023 FINALISTS BEAUTY & HEALTH – WEST FOOTHILLS SPORTS MEDICINE PHYSICAL THERAPY Multiple Locations PHYSICAL THERAPY CLINIC Banner Health bannerhealth.com OSR Physical Therapy osrphysicaltherapy.com foothillsrehab.com UPTOWN MEDISPA Multiple Locations SPA/MEDICAL SPA Hand & Stone Massage and Facial Spa handandstone.com Salon Blissful salonblissful.com uptownmedispa.com BANNER HEALTH Multiple Locations URGENT CARE/WALK-IN CLINIC Banner Urgent Care Glendale bannerhealth.com NextCare Urgent Care Estrella nextcare.com bannerhealth.com VALLEY MEDICAL WEIGHT LOSS & MED SPA Glendale 6008 W Bell Rd f101 Glendale, AZ 85308 602.374.3374 WEIGHT LOSS CENTER Red Mountain Weight Loss redmountainweightloss.com Trinity Weight Loss Trinity Chiropractic trinitychiroaz.com valleymedicalweightloss.com
2023
BEAUTY & HEALTH – WEST
Best of Desert - Community’s Choice Awards | JUNE 2023 | 41 DESIGN STUDIOS Ste 101 85303 CLINIC Pediatric Orthodontics Pediatric Orthodontics ddsarizona.com 2023 WINNERS 2023 FINALISTS DINING – WEST WILDFLOWER Multiple Locations ALL-AROUND RESTAURANT BJ’s Restaurant & Brewhouse bjsrestaurants.com Charley’s Sports Grill charleyssportsgrill.com wildflowerbread.com THE SICILIAN BUTCHER Peoria 9780 W Northern Ave Ste 1110 Peoria, AZ 85345 623.471.5771 APPETIZERS Charley’s Sports Grill charleyssportsgrill.com Red Lobster redlobster.com thesicilianbutcher.com WILDFLOWER Multiple Locations BAKERY The Boyer Bakery theboyerbakery.com La Purisima Bakery purisimabakery.com wildflowerbread.com RUDY’S BBQ Multiple Locations BBQ Bobby-Q BBQ Restaurants bobbyqbbq.com Dillon’s KC BBQ dillonsrestaurant.com rudysbbq.com WILDFLOWER Multiple Locations BREAKFAST Ground Control groundxcontrol.com Hash Kitchen Peoria hashkitchen.com wildflowerbread.com WILDFLOWER Multiple Locations BRUNCH Charley’s Sports Grill charleyssportsgrill.com U.S. Egg Breakfast & Lunch useggrestaurant.com wildflowerbread.com WEST Dining Caterer/Catering Company Rosey’s Cocinita, LLC Catering GCI1058983-02 Basic + 2 Tickets $1,925.56 A Latin Fusion of Modern Flavors Thank You for Your Votes for Best Caterer/Catering Company! Contact Us Goodyear, AZ, USA 602-502-4536 rosey@roseyscocinita.com Rosey’s Cocinita Catering brings a new style of catering to the Phoenix and West Valley area for private and corporate events, food festivals or simple week-night family dinners that will delight and entice your taste buds. Weekly Specials Dinners-To-Go Private Catered Events We Offer Educational *Corporate Catered Events AR-GCI1058983-02 ROSEY’S COCINITA CATERING

in-n-out.com

Charley’s Sports Grill charleyssportsgrill.com Culver’s culvers.com

CATERER/CATERING COMPANY

ROSEY’S

roseyscocinita.com

Saguaro Grill saguarogrill.com Wildflower wildflowerbread.com

THE CHEESECAKE FACTORY

Multiple Locations

BOSA

pfchangs.com

thecheesecakefactory.com

2023 FINALISTS

Big Buddah Restaurant bigbuddhaaz.com Good China goodchinarestaurants.com

Charley’s Sports Grill charleyssportsgrill.com Wildflower wildflowerbread.com

chick-fil-a.com

2023 WINNERS

FINE DINING

GREEK FOOD

PRIME

PITA JUNGLE

Multiple Locations

ICE CREAM/FROZEN YOGURT

DINING – WEST FLEMING’S

ITALIAN FOOD

HOMEMADE

ICE CREAM

flemingssteakhouse.com

Arrowhead Grill arrowheadgrill.com

pitajungle.com

Dino’s Greek & Italian Grill dinosgreekanditaliangrill.com

BABBO

ITALIAN EATERY

JAPANESE FOOD

AH-SO SUSHI & STEAK 15475 W McDowell Rd Goodyear, AZ 85395 623.535.8900

handelsicecream.com

babboitalian.com

Olive Garden olivegarden.com

ahsoaz.com

LOCAL

PLACE 15341 W Waddell Rd B101 Surprise, AZ 85379 623.473.8899

Firebirds Wood Fired Grill firebirdsrestaurants.com

Skewers Mediterranean Grill skewersmedgrill.com

Dairy Queen dairyqueen.com

The Sicilian Butcher Peoria thesicilianbutcher.com

Benihana benihana.com

Kabuki Japanese Restaurant kabukirestaurants.com

spencersplaceaz.com

Multiple wildflowerbread.com TEXAS Multiple texasroadhouse.com

42 | JUNE 2023 | Best of Desert - Community’s Choice Awards
2023 WINNERS
BURGER
BURGER
DINING – WEST IN-N-OUT
1525 N Dysart Rd Avondale, AZ 85323 800.786.1000
COCINITA CATERING
602.502.4536
CHINESE FOOD
P.F. CHANG’S 2420 W Happy Valley Rd Phoenix, AZ 85085 623.707.4495
DESSERT
DONUTS
DOUGHNUT
Multiple Locations
SHOP Krispy Kreme krispykreme.com Rainbow Donuts rainbow-donuts.business.site bosadonutsaz.com
FAST FOOD
CHICK-FIL-A Multiple Locations
Chipotle Mexican Grill chipotle.com In-N-Out Burger in-n-out.com
2023 FINALISTS STEAKHOUSE
& WINE BAR
Multiple Locations
HANDEL’S
Multiple Locations
Cold Stone Creamery coldstonecreamery.com
Multiple Locations
SPENCER’S
COFFEE SHOP Starbucks starbucks.com
Wildflower wildflowerbread.com
WILDFLOWER
44 | JUNE 2023 | Best of Desert - Community’s Choice Awards EXPECT M RE AT LOOP 101 & NORTHERN & DDCAZ.COM Bet with your head, not over it. Call 1-800-Next Step. An Enterprise of the Tohono O’odham Nation. SIMPLY THE BEST ONCE AGAIN BEST OF THE DESERT 3 YEARS IN ROW! Thank you to all the players throughout the Valley who continue to choose Desert Diamond as your favorite place to play. We are grateful for your support and appreciate your vote. A special thanks as well to our dedicated Team Members who bring their very best to you every day. 2023 WINNERS 2023 FINALISTS ENTERTAINMENT & LEISURE – WEST PHOENIX ART MUSEUM 1625 N Central Ave Phoenix, AZ 85004 602.257.1880 ART GALLERY Heard Museum heard.org The Vista Center for the Arts thevistaaz.com phxart.org MAIN EVENT AVONDALE 10315 W McDowell Rd Avondale, AZ 85392 623.936.5300 BIRTHDAY PARTY VENUE Peter Piper Pizza peterpiperpizza.com Sky Zone Trampoline Parks Peoria skyzone.com mainevent.com DESERT DIAMOND CASINO WEST VALLEY 9431 W Northern Ave Glendale, AZ 85305 623.877.7777 CASINO Vee Quiva Gila River Resorts & Casinos playatgila.com Talking Stick Resort talkingstickresort.com ddcaz.com/west-valley GLENDALE GLITTERS 5800 W Glenn Dr Glendale, AZ 85301 623.930.2299 EVENT - LOCAL Litchfield Park Art & Wine Festival Vermillion Promotions vermillionpromotions.com Vista Center for the Arts thevistaaz.com glendaleaz.com TALKING STICK RESORT AMPHITHEATRE 2121 N 83rd Ave Phoenix, AZ 85035 602.254.7200 EVENT VENUE Saguaro Grill |The Ocotillo Room saguarogrill.com The Vista Center for the Arts thevistaaz.com livenation.com WILDLIFE WORLD ZOO, AQUARIUM & SAFARI PARK 16501 W Northern Ave Litchfield Park, AZ 85340 623.935.9453 FAMILY AMUSEMENT Dave & Buster’s daveandbusters.com Topgolf topgolf.com wildlifeworld.com RELAY WEST FUNDRAISING Find WEST Entertainment & Leisure Casino Desert Diamond Casino - West Valley Half Page Package $3,982.60 GCI1065236-03
Best of Desert - Community’s Choice Awards | JUNE 2023 | 45 WEST Entertainment & Leisure Live Music/Concert Venue Desert Diamond Arena Half Page $3,982.60 GCI1069589-02 2023 WINNERS 2023 FINALISTS ENTERTAINMENT & LEISURE – WEST RELAY FOR LIFE WEST VALLEY FUNDRAISING EVENT Eddie Johnson & Friends Celebrity Events helpinghandsforsinglemoms.org “Links to Kettles” Golf Tournament The Salvation Army salvationarmyphoenix.org Find Us On Facebook THE WIGWAM 300 Wigwam Blvd Litchfield Park, AZ 85340 866.976.6894 HOTEL Hilton Garden Inn Surprise hilton.com Grand Hotel grandhotelmesa.info wigwamarizona.com DESERT DIAMOND ARENA 9400 W Maryland Ave Glendale, AZ 85305 623.772.3240 LIVE MUSIC/CONCERT VENUE Talking Stick Resort Amphitheatre livenation.com The Vista Center for the Arts thevistaaz.com desertdiamondarena.com ASU GAMMAGE Arizona State University 1200 S Forest Ave Tempe, AZ 85281 480.965.3434 LIVE THEATER Arizona Broadway Theatre azbroadway.org The Vista Center for the Arts thevistaaz.com asugammage.com HARKINS THEATRES Multiple Locations MOVIE THEATER/BUDGET THEATER AMC Surprise Pointe 14 amctheatres.com West Wind Glendale Drive-In westwinddi.com harkins.com ARIZONA SCIENCE CENTER 600 E Washington St Phoenix, AZ 85004 602.716.2000 MUSEUM Children’s Museum of Phoenix childrensmuseumofphoenix.org Musical Instrument Museum mim.org azscience.org
46 | JUNE 2023 | Best of Desert - Community’s Choice Awards 2023 WINNERS
FINALISTS ENTERTAINMENT & LEISURE – WEST ROMAN’S OASIS 16825 W Yuma Rd Goodyear, AZ 85338 623.932.0922 PLACE TO DANCE Denim & Diamonds denimanddiamondsmesaaz.com Lucie’s Sage & Sand Bar & Grill sageandsandgrill.com Find Us On Facebook SURPRISE PLACE TO LIVE Glendale glendaleaz.com Peoria peoriaaz.gov surpriseaz.gov KMLE COUNTRY 107.9 FM 840 N Central Ave Phoenix, AZ 602.894.5653 RADIO STATION - LOCAL 104.7 Kiss FM 1047kissfm.iheart.com 98KUPD 98kupd.com audacy.com/kmle1079 PHOENIX SUNS 201 E Jefferson St Phoenix, AZ 85004 602.379.7900 SPORTS TEAM - LOCAL Arizona Cardinals azcardinals.com Arizona Diamondbacks mlb.com nba.com/suns ZOOLIGHTS Phoenix Zoo 455 N Galvin Pkwy Phoenix, AZ 85008 602.286.3800 TOURIST/SEASONAL ATTRACTION - LOCAL Camelback Ranch Spring Training mlb.com Peoria’s All-American Festival peoriaaz.gov phoenixzoo.org ARIZONA MORNING FOX 10 Phoenix 511 W Adams St Phoenix, AZ 85003 602.257.1234 TV NEWS - LOCAL Sonoran Living ABC15 Arizona | KNXV abc15.com KTVK 3TV Arizona’s Family azfamily.com fox10phoenix.com 2023 WINNERS 2023 FINALISTS ENTERTAINMENT & LEISURE – WEST PEOPLE WIGWAM ARIZONA 300 Wigwam Blvd Litchfield Park, AZ 85340 866.976.6894 WEDDING VENUE Saguaro Grill | The Ocotillo Room saguarogrill.com The Japanese Friendship Garden of Phoenix japanesefriendshipgarden.org wigwamarizona.com WILDLIFE WORLD ZOO, AQUARIUM & SAFARI PARK 16501 W Northern Ave Litchfield Park, AZ 85340 623.935.9453 ZOO Heritage Park Zoological Sanctuary heritageparkzoo.org The Phoenix Zoo phoenixzoo.org wildlifeworld.com SCOTT PASMORE KTVK 3TV COLUMNIST/NEWS REPORTER Emma Jade KPNX 12 News NBC 12news.com Laurie Roberts Arizona Republic and azcentral.com azcentral.com azfamily.com THATCHER FINANCIAL Patrick 13020 Fe Avondale, 623.925.2577 ACCOUNTING thatcherfinancial.com
2023
Best of Desert - Community’s Choice Awards | JUNE 2023 | 47 2023 WINNERS 2023 FINALISTS FINANCE – WEST THATCHER FINANCIAL Patrick Thatcher, CPA 13020 W Rancho Santa Fe Blvd Ste 103 Avondale, AZ 85392 623.925.2577 ACCOUNTING FIRM Arrington Accounting aataxllc.com thatcherfinancial.com CHASE Multiple Locations BANK Bank of America bankofamerica.com Wells Fargo Bank wellsfargo.com chase.com DESERT FINANCIAL CREDIT UNION Multiple Locations 602.433.5626 CREDIT UNION Arizona Financial Credit Union arizonafinancial.org Navy Federal Credit Union navyfederal.org desertfinancial.com AMERICAN RETIREMENT ADVISORS Multiple Locations FINANCIAL PLANNING SERVICES 123 Easy Medicare 123easymedicare.com Fidelity fidelity.com americanretirementadvisors.com WELLS FARGO HOME MORTGAGE Multiple Locations MORTGAGE LENDING COMPANY Chase chase.com Rocket Mortgage rocketmortgage.com wellsfargo.com H&R BLOCK Multiple Locations TAX PREPARATION SERVICES Mitchell’s Tax Service mitchellstaxservices.com Thatcher Financial thatcherfinancial.com hrblock.com WEST Home & Home Services Home Repair/Remodeling Company Express Flooring GCI1061170-01 half page $3,982.60
48 | JUNE 2023 | Best of Desert - Community’s Choice Awards Thank You For Voting For Me - Best Real Estate Agent! LEARN MORE! 623-696-7291 azrealtorashleigh@gmail.com Ashleigh Corrigan AR-GCI1061453-04 Thank You For Your Vote! BEST SENIOR LIVING SIGNATURE INDEPENDENT LIVING theparkatsurprise.com (623) 594-9042 2023 WINNERS 2023 FINALISTS HOME & HOME SERVICES – WEST THE PARK AT SURPRISE 14630 W Parkwood Dr Surprise, AZ 85374 623.594.9042 ASSISTED/SENIOR LIVING The Fountains at Sun City theplaceatfountains.com The Heritage Tradition srgseniorliving.com koelschseniorcommunities.com BEST CONCRETE CO. 623.440.4502 BACKYARD CONSTRUCTION COMPANY Arrowhead Deck and Pools arrowheaddeck.com Imagine Backyard Living imaginebackyard.com bestconcreteco.com DIAMOND KITCHEN AND BATH Multiple Locations BATHROOM/KITCHEN REMODELING COMPANY Sun City Kitchen & Bath sckitchenandbath.com Sun City Kitchen and Bath sckitchenandbath.com Tintas Granite and Flooring tintasgranite.com diamondkitchenandbath.com DIAMOND KITCHEN AND BATH Multiple Locations CABINET COMPANY The Home Depot homedepot.com Lowe’s lowes.com diamondkitchenandbath.com CASTLE ROCK HOMES 501 E Plaza Cir Litchfield Park, AZ 85340 623.935.5004 CUSTOM HOME BUILDER Kuhlwein Custom Homes Sunland Development Corporation sunlanddc.com castlerockhomes.us FIRST IMPRESSION IRONWORKS Multiple Locations DOOR COMPANY Energy Shield Window & Door Company energyshieldwindowsanddoors.com Iron Doors Arizona irondoorsarizona.com firstimpressionsecuritydoors.com WEST Home & Home Services - People Real Estate Agent Ashleigh Corrigan - Real Estate at The Firm GCI1061453-04 basic $1,625.26 WEST Home & Home Services Assisted/Senior Living The Park at Surprise GCI1067777-05 1/4 Pg. $3,388.60
Best of Desert - Community’s Choice Awards | JUNE 2023 | 49 281-3898 (602) LEARN WHY AMERICAN RETIREMENT ADVISORS AND 123EASY MEDICARE. ONCE AGAIN, YOU’RE VOTED THE BEST! MAKING HEALTHCARE AND RETIREMENT PLANNING 123EASY Best Financial Planner, and Best Medicare Advisor two years in a row! CONGRATULATIONS Easy Eddie is a registered trademark of AmericanRetirementAdvisors.com LLC. © All Rights Reserved 2023 -Easy Eddie By appointment only
50 | JUNE 2023 | Best of Desert - Community’s Choice Awards 2023 WINNERS 2023 FINALISTS HOME & HOME SERVICES – WEST FULTON HOMES 9140 S Kyrene Rd, Ste 202 Tempe, AZ 85284 480.753.6789 HOME BUILDER KB Home kbhome.com Meritage Homes meritagehomes.com fultonhomes.com EXPRESS FLOORING Multiple Locations HOME REPAIR/REMODELING COMPANY Best Concrete Co. bestconcreteco.com Diamond Kitchen and Bath diamondkitchenandbath.com expressflooring.com IMAGINE BACKYARD LIVING 15551 N Greenway Hayden Loop Scottsdale, AZ 85260 480.607.3529 HOT TUBS Bullfrog Spas bullfrogspas.com Desert Hot Tubs deserthottubs.com imaginebackyard.com LA-Z-BO Multiple Locations INTERIOR DESIGN COMPANY Inspired Closets inspiredclosets.com Stuart Design Co. stuartdesignco.com la-z-boy.com OFF DUTY FIREFIGHTERS WILL MOVE 9237 W. Weeping Willow Rd Peoria, AZ 85382 623.206.2033 MOVING COMPANY 2 Men and a Truck twomenandatruck.com U-Haul uhaul.com firefighterswillmove.com MARK-TAYLOR RESIDENTIAL 6623 N Scottsdale Rd Scottsdale, AZ 85250 480.991.9111 MULTI FAMILY DEVELOPER Alliance Residential allresco.com Liv Communities livcommunities.com Native American Connections nativeconnections.org mark-taylor.com 2023 WINNERS 2023 FINALISTS HOME & HOME SERVICES PEOPLE RE/MAX PROFESSIONALS 20241 N 67th Ave Suite A1 Glendale, AZ 85308 623.362.3000 REAL ESTATE COMPANY Coldwell Banker Realty coldwellbanker.com Libertas Real Estate libertasrealestate.com joinremaxprofessionalsaz.com PEBBLECREEK 3003 N 164th Ave Goodyear, AZ 85395 623.935.6700 RETIREMENT/55+ COMMUNITY Sun City Grand suncitygrand.com Westbrook Village westbrookvillage.org robsonliving.com PRESIDENTIAL POOLS, SPAS & PATIO 15170 W Bell Rd #108 Surprise, AZ 85374 623.505.2800 SWIMMING POOL/SPA Bright Blue Pools EōS Fitness eosfitness.com presidentialpools.com ASHLEIGH CORRIGAN Real Estate at The Firm 7135 E Camelback Rd Scottsdale, AZ 85251 623.696.7291 REAL ESTATE AGENT Greg Faulhaber Coldwell Banker Realty coldwellbanker.com Kyle Jacobs Realty ONE Group phoenix.myrealtyonegroup.com Find Us On Facebook WILDFLOWER PRESCHOOL 325 Goodyear, 623.772.5200 chooseaesd.org
Best of Desert - Community’s Choice Awards | JUNE 2023 | 51 2023 WINNERS 2023 FINALISTS KIDS & EDUCATION – WEST WILDFLOWER PRESCHOOL 325 S Wildflower Dr Goodyear, AZ 85338 623.772.5200 CHILD CARE Avondale’s Early Learning Centers The Kid’s B.A.S.E. Buckeye buckeyeaz.gov chooseaesd.org GRAND CANYON UNIVERSITY 3300 W Camelback Rd Phoenix, AZ 85017 602.639.7500 COLLEGE/UNIVERSITY Arizona State University ASU West Campus campus.asu.edu/west Ottawa University ottawa.edu gcu.edu TAKE FIVE DANCE ACADEMY 3135 N Dysart Rd Avondale, AZ 85392 623.932.1342 DANCE STUDIO/SCHOOL Bravo Dance Family bravodancefamily.com Kat’s Artist Tree katsartisttree.com takefivedance.com MASTER HAYDAR’S BLACK BELT ACADEMY 725 Estrella Pkwy #135 Goodyear, AZ 85338 602.510.5760 KARATE/MARTIAL ARTS SCHOOL Legendary Martial Arts legendaryata.com TaekwonKids arizonatkd.com masterhaydar.com MATHNASIUM OF LITCHFIELD PARK 14175 W Indian School Rd Goodyear, AZ 85395 623.213.8653 LEARNING/TUTORING CENTER Kumon Math and Reading Center kumon.com Sylvan Learning of Phoenix sylvanlearning.com mathnasium.com AVONDALE ELEMENTARY SCHOOL DISTRICT 295 West Western Ave Avondale, AZ 85323 623.772.5000 PRE-SCHOOL Buckeye Elementary School District besd33.org Wildflower Preschool chooseaesd.org chooseaesd.org WEST Kids & Education Pre-School Avondale Elementary School District GCI1066825-05 HP + 8 tiks $5,182.60
52 | JUNE 2023 | Best of Desert - Community’s Choice Awards THANK YOU for Your Votes for Best College/University! 15950 N. Civic Center Plaza, Surprise, AZ 85374 855-546-1342 | www.ottawa.edu • Education • Business Administration • Engineering • Psychology Sport Leadership • Counseling • Leadership AR-GCI1059359-01
Best of Desert - Community’s Choice Awards | JUNE 2023 | 53 THANK YOU FOR VOTING FOR US AR-GCI1066248-04 Buckeye Union High School District 1000 E. Narramore Ave. Buckeye, AZ 85326 623.269.1000 Best School - Public! @BUHSD @SBebeee_BUHSD @BUHSD201 LEARN MORE! 2023 WINNERS 2023 FINALISTS KIDS & EDUCATION – WEST ST. THOMAS AQUINAS CATHOLIC SCHOOL 13720 W Thomas Rd Avondale, AZ 85392 623.935.0945 SCHOOL - PRIVATE Arizona Lutheran Academy alacoyotes.org St. John Paul II Catholic High School jp2catholic.org stacatholic.com AVONDALE ELEMENTARY SCHOOL DISTRICT 295 West Western Ave Avondale, AZ 85323 623.772.5000 SCHOOL - PUBLIC Buckeye Elementary School District besd33.org Wildflower Accelerated Academy chooseaesd.org chooseaesd.org GOODYEAR RECREATION CAMPUS 420 Estrella Pkwy Goodyear, AZ 85338 623.882.7525 YOUTH SPORTS FACILITY/COMPLEX Arizona Sports Complex ASC arizonasportscomplex.com Dr. Saide Recreation Center City of Buckeye buckeyeaz.gov grc.goodyearaz.gov WEST Kids & Education School - Public Buckeye School District GCI1066248-04 Quarter page $3,088.60 2023 WINNERS 2023 FINALISTS PETS – WEST ARIZONA HUMANE SOCIETY Multiple Locations ANIMAL RESCUE/SHELTER/ADOPTION Arizona Small Dog Rescue azsmalldog.org HALO Animal Rescue halorescue.org azhumane.org ARROWHEAD RANCH ANIMAL HOSPITAL & GROOMING 6750 W Deer Valley Rd c101 Glendale, AZ 85310 623.561.2677 EMERGENCY VETERINARY CLINIC Arizona Veterinary Emergency & Critical Care Center azervets.com Westbrook Animal Hospital westbrookah.com arrowheadranchah.com SEE SPOT CLEAN 105 N Litchfield Rd Goodyear, AZ 85338 623.882.9595 PET GROOMING COMPANY Grooming by Briana Find Us On Facebook Hearts Full Of Love Pet Grooming Find Us On Facebook seespotclean.com CAMP BOW WOW 1050 N Fairway Dr Building i Suite #111 Avondale, AZ 85323 623.925.8998 PET KENNEL/BOARDING/DAY CARE Hounds Town Avondale houndstownusa.com The Grand Pet Hotel grandpethotel.com campbowwow.com PETSMART Multiple Locations PET STORE Dorkie Doggie Bakery Find Us On Facebook Petco petco.com petsmart.com NORTH BUCKEYE ANIMAL HOSPITAL & GROOMING 1480 S Watson Rd #102 Buckeye, AZ 85326 623.691.6305 VETERINARY CLINIC Arrowhead Ranch Animal Hospital & Grooming arrowheadranchah.com Goodyear Animal Hospital & Grooming goodyearah.com northbuckeyeah.com
54 | JUNE 2023 | Best of Desert - Community’s Choice Awards Our goal is to help you save money while delivering the best possible insurance product available. Our agents can help you find discounts and build a comprehensive plan at the best possible rates. Let us do the work and build a coverage plan customized for you. AR-GCI1067057-03 One insurance company for all of your needs Thank You For Your Support! Best Insurance Agency 623-225-7735 23131 N. Lake Pleasant Pkwy, Peoria, AZ 85383 Thank You for Your Votes! BEST INSURANCE AGENCY Whether it’s you, your family or your business, we can create a coverage plan specifically for your unique needs. 623-267-5533 batorinsurancegroup.com 2023 WINNERS 2023 FINALISTS SERVICES – WEST ARTIFICIAL GRASS MASTERS 16681 N 84th Ave #140 Peoria, AZ 85382 602.730.7003 ARTIFICIAL TURF COMPANY AZ Turf and More azturfandmore.com Turf Monsters AZ turfmonstersaz.com artificialgrassmasters.com WARDLOW’S CARPET & TILE CLEANING 623.249.4332 CARPET/RUG CLEANING COMPANY Stanley Steemer stanleysteemer.com Zerorez zerorez.com wardlowscarpetclean1.wixsite. com/wardlowstilecarpet SPARKLES LAUNDROMAT 3114 W Van Buren St Phoenix, AZ 85009 DRY CLEANING COMPANY Elite Cleaners elitecleanersphoenix.com Tide Cleaners tidedrycleanersaz.com GCS FLOORING COMPANY 602.770.7400 FLOORING INSTALLATION Express Flooring expressflooring.com Kennedy Tile kennedytilellc.com gcsflooringcompany.com THOMPSON FUNERAL CHAPEL 926 S Litchfield Rd Goodyear, AZ 85338 623.932.1780 FUNERAL HOME/CREMATORY Dignity Memorial dignitymemorial.com Holy Cross Catholic Cemetery & Funeral Home hccfh.org thompsonfuneralchapel.com GARAGE DOOR GRUNTS 2663 W Lone Cactus Dr Phoenix, AZ 85027 623.219.8460 GARAGE DOOR COMPANY A1 Garage Door Service a1garage.com Avondale Garage Doors avondalegaragedoors.com garagedoorgrunts.com MOREHART CONDITIONING & 8853 Peoria, 602.640.0444 HEATING/AC morehartac.com WEST Services Insurance Agency Saguaro Insurance Group GCI1067057-03 Basic Package $1,625.56 WEST Services Insurance Agency Bator Insurance Group GCI1059821-03 Basic $2,225.56

123easymedicare.com

Lady AZ Michelle Jewell theinsuranceladyaz.com

NON-PROFIT/CHARITY ORGANIZATION

PHOENIX CHILDREN’S FOUNDATION

2929 E Camelback Rd Suite 122 Phoenix, AZ 85016 602.933.4483

phoenixchildrensfoundation.org

Southwest Lending Closet swlendingcloset.org

2023 WINNERS

The Premier Agency Brent Crawley premieragentnet.com

The Salvation Army Glendale Corps glendale-az.salvationarmy.org

2023 FINALISTS

Best of Desert - Community’s Choice Awards | JUNE 2023 | 55 DOOR Cactus Dr 85027 COMPANY Service Doors avondalegaragedoors.com garagedoorgrunts.com 2023 WINNERS 2023 FINALISTS SERVICES – WEST MOREHART AIR CONDITIONING & HEATING 8853 N 78th Ave Peoria, AZ 85345 602.640.0444 HEATING/AC SERVICE COMPANY Arctic Fox Air Conditioning & Heating arcticfoxairconditioning.com Cousins Air Conditioning and Heating cousinsac.com Forrest Anderson Plumbing & Air Conditioning forrestanderson.net morehartac.com BATOR INSURANCE GROUP 623.267.5533 INSURANCE AGENCY 123Easy Insure Saguaro Insurance Group saguaroinsurance.com batorinsurancegroup.com LAW OFFICE OF KATHERINE KRAUS, PLLC 9059 W Lake Pleasant Pkwy c300 Peoria, AZ 85382 623.566.4500 LAW FIRM Faith, Ledyard & Faith, PLC faithlaw.com Mahoney Law Office mahoneylawoffice.net krauslawfirm.com MOON VALLEY NURSERIES Multiple Locations LAWN CARE/LANDSCAPING COMPANY Desert Landscaping Sundowner Landscape Irrigation Services sundownerirrigation.com moonvalleynurseries.com 123EASY MEDICARE Multiple Locations MEDICARE ADVISOR The Insurance
SERVICES – WEST BELLA PAINTING LLC PAINTING COMPANY Arizona Painting Company arizonapaintingcompany.com Copper Canyon Painting Contractors coppercanyonpaintingaz.com Find Us On Facebook COPPER STATE PEST MANAGEMENT 4704 E Paradise Village Pkwy N #149 Phoenix, AZ 85032 480.514.8775 PEST CONTROL COMPANY Greenleaf Pest Control greenleafpc.com Grizzly Pest Control grizzlypest.com copperstatepest.com TRIDENT PLUMBING & DRAIN 26134 N 121st Ave Peoria, AZ 85383 623.879.2020 PLUMBING COMPANY Dignity Plumbing dignityplumbingaz.com The Plumber Guy theplumberguy.com tridentplumbingllc.com JBS ROOFING Jim Brown & Sons Roofing 5537 N 59th Ave Glendale, AZ 85301 623.471.1794 ROOFING COMPANY
Roofing glendaleroofing.com Star Roofing starroofingaz.com jbsroofingaz.com
STORAGE Multiple Locations SELF-STORAGE COMPANY
Mini Storage storagexperts.net Got Storage Peoria totalstoragesolutions.com publicstorage.com
ADDICTIONS TATTOO & PIERCING 6766 W Glendale Ave Glendale, AZ 85303 623.939.4178 TATTOO STUDIO
Ideas Tattoo & Piercing brightideasaz.com
Tattoo Studio inktowntattoos.com ritualaddictions.com
Glendale
PUBLIC
Budget
RITUAL
Bright
InkTown
56 | JUNE 2023 | Best of Desert - Community’s Choice Awards THANK YOU FOR YOUR VOTES AND SUPPORT FOR THE 2550 W. Union Hills Drive, Suite 350, Phoenix, Arizona 85027 Telephone: (623) 806-1217 Shelley@ShelleyRosas.com BEST ATTORNEYDIVORCE CATEGORY! AR-GCI1067478-07 Becker Zarling & Smith Law For Your Votes! Best Attorney - Divorce Thank You Gina M. Zarling! LEARN MORE OUR LOCATION 12725 West Indian School Road Suite F-102 Avondale, Arizona (623) 512-4915 POWERFUL PROTECTION OF OUR CLIENTS A LAW FIRM WITH INTEGRITY AND INTELLECT Thank You 2023 WINNERS 2023 FINALISTS SERVICES – WEST PEOPLE WEST VALLEY TRAVEL TRAVEL AGENCY Bon Voyage Travel bvtravel.com/about-us Awaken Travels Teresa DeGraff awakentravels.com TRIDENT PLUMBING & DRAIN 26134 N 121st Ave Peoria, AZ 85383 623.879.2020 WATER TREATMENT/FILTRATION Kinetico kineticoaz.com Lifewater Solutions lifewater.solutions tridentplumbingllc.com ENERGY SHIELD WINDOW & DOOR COMPANY 330 South 75th Avenue Phoenix, AZ 85043 623.936.3758 WINDOW COMPANY Apex Window Cleaning apexwindowcleaningaz.com Demers Glass demersglass.com energyshieldwindowsanddoors.com LAW OFFICE OF KATHERINE KRAUS 9059 W Lake Pleasant Pkwy c300 Peoria, AZ 85382 623.566.4500 ATTORNEY - DIVORCE Becker Zarling & Smith Law beckerzarlinglaw.com Law Office of Shelley Rosas, PLLC Find Us On Facebook krauslawfirm.com WEST Services - People Attorney - Divorce Becker Zarling & Smith Law GCI1064378-01 basic $1,925.56 WEST Services - People Attorney - Divorce Law Office of Shelley Rosas, PLLC GCI1067478-07 Quarter Page $2,788.60
Best of Desert - Community’s Choice Awards | JUNE 2023 | 57 ImagineBackyard.com 15551 North Greenway-Hayden Loop Scottsdale, AZ 85260 (4 blocks east of Scottsdale Rd on Greenway-Hayden Loop) 480.607.3529 STORE HOURS: Mon - Sat 10-6, Sun 12-5 The #1 Volume Single Store Jacuzzi® Dealer in the World 6 Years in a Row! THANK YOU ARIZONA FOR VOTING US BEST OF THE DESERT HOT TUB DEALER 2 YEARS IN A ROW!
58 | JUNE 2023 | Best of Desert - Community’s Choice Awards 2023 WINNERS
FINALISTS SHOPPING – WEST THE HOME DEPOT APPLIANCE STORE Best Buy bestbuy.com Spencer’s TV & Appliance spencerstv.com homedepot.com AMERICAN FURNITURE WAREHOUSE Multiple Locations BACKYARD FURNITURE/PATIO STORE Ashley ashleyfurniture.com Imagine Backyard Living imaginebackyard.com Today’s Patio todayspatio.com afw.com THE GRAND PROJECT SHOPPE 9780 W Northern Ave Ste 1180 Peoria, AZ 85345 623.248.6042 BOUTIQUE 2 Share a Unique Boutique Find Us On Facebook SodaCandles sodacandles.com thegrandprojectshoppe.com DAVID’S BRIDAL Multiple Locations BRIDAL/FORMALWEAR BOUTIQUE Betty’s Bridal & Fashion Forever Bridal forever-bridal.com davidsbridal.com MY SISTER’S CLOSET 2502 E Camelback Rd Suite 175 Phoenix, AZ 85016 602.954.6080 CONSIGNMENT STORE Buffalo Exchange buffaloexchange.com Plato’s Closet platoscloset.com mysisterscloset.com GET LOCAL AZ FARMERS MARKETS 7780 W Arrowhead Towne Center Glendale, AZ 85308 602.703.7154 FARMERS MARKET Blue Rooster Produce Find Us On Facebook Vistancia Farmers Market & Craft Show Find Us On Facebook getlocalarizonaevents.com SHOPPING –
2023 WINNERS 2023 FINALISTS EXPRESS FLOORING Multiple Locations FLOORING STORE Floor & Decor flooranddecor.com LL Flooring Lumber Liquidators llflooring.com expressflooring.com PHOENIX FLOWER SHOPS Multiple Locations FLORIST SHOP Cactus Flower Florists cactusflower.com Thompson’s Flower Shop thompsonsflowershop.com phoenixflowershops.com AMERICAN FURNITURE WAREHOUSE Multiple Locations FURNITURE STORE Ashley ashleyfurniture.com
Spaces livingspaces.com
Imports copenhagenliving.com afw.com MOON VALLEY NURSERIES Multiple Locations GARDEN CENTER/NURSERY The Home Depot homedepot.com Lowe’s lowes.com moonvalleynurseries.com FRY’S MARKETPLACE Multiple Locations GROCERY STORE Safeway safeway.com WinCo Foods wincofoods.com frysfood.com HOMEGOODS Multiple Locations HOME GOODS/DÉCOR At Home athome.com dd’s DISCOUNTS ddsdiscounts.com homegoods.com
2023
WEST
Living
Copenhagen
Best of Desert - Community’s Choice Awards | JUNE 2023 | 59 HOMEGOODS Locations GOODS/DÉCOR DISCOUNTS ddsdiscounts.com homegoods.com 2023 WINNERS 2023 FINALISTS SHOPPING – WEST NELSON ESTATE JEWELERS 2051 S Dobson Rd Ste 10 Mesa, AZ 85202 480.459.9867 JEWELRY STORE Kay Jewelers kay.com Osborne Jewelers osbornejewelersinc.com nelsonestatejewelers.com CURALEAF Multiple Locations MARIJUANA DISPENSARY Health for Life Medical & Recreational Cannabis Dispensary healthforlifeaz.com The Phoenix Dispensary Find Us On Facebook Sunday Goods sundaygoods.com curaleaf.com BROOKLYN BEDDING Multiple Locations MATTRESS STORE The Mattress Store Tuft & Needle tuftandneedle.com brooklynbedding.com DILLARD’S Multiple Locations MEN’S CLOTHING STORE C-A-L Ranch calranch.com DXL dxl.com dillards.com DSW DESIGNER SHOE WAREHOUSE Multiple Locations SHOE STORE Famous Footwear famousfootwear.com SKECHERS Warehouse Outlet skechers.com dsw.com JCPENNEY Multiple Locations WOMEN’S CLOTHING STORE Sher’s Clothing Find Us On Facebook Torrid torrid.com jcpenney.com WEST Shopping Marijuana Dispensary Curaleaf half page package $3,982.60 GCI1064420-03
60 | JUNE 2023 | Best of Desert - Community’s Choice Awards 2023 WINNERS
FINALISTS SPIRITS – WEST CHARLEY’S SPORTS GRILL 8110 W Union Hills Dr #350 Glendale, AZ 85308 623.322.3593 BAR Roman’s Oasis Find Us On Facebook The Social on 83rd thesocialaz.us charleyssportsgrill.com CHARLEY’S SPORTS GRILL 8110 W Union Hills Dr #350 Glendale, AZ 85308 623.322.3593 BLOODY MARY Hash Kitchen hashkitchen.com Haymaker haymakeraz.com charleyssportsgrill.com TRANSPLANT CITY BEER COMPANY 103 W Honeysuckle St Litchfield Park, AZ 85340 623.535.3911 BREWPUB/BREWERY Ground Control groundxcontrol.com State 48 Brewery Surprise state48brewery.com tcbcbeer.com CHARLEY’S SPORTS GRILL 8110 W Union Hills Dr #350 Glendale, AZ 85308 623.322.3593 HAPPY HOUR FEZ fezoncentral.com The Sicilian Butcher thesicilianbutcher.com charleyssportsgrill.com TOTAL WINE & MORE Multiple Locations LIQUOR STORE A1 Liquor a-one-liquor.slue.io BevMo! bevmo.com totalwine.com MANUEL’S MEXICAN RESTAURANT & CANTINA Multiple Locations MARGARITA Charley’s Sports Grill charleyssportsgrill.com Saguaro Grill saguarogrill.com manuelsaz.com 2023 WINNERS 2023 FINALISTS SPIRITS – WEST CHARLEY’S SPORTS GRILL 8110 W Union Hills Dr #350 Glendale, AZ 85308 623.322.3593 SPORTS BAR Augie’s Sports Grill Find Us On Facebook Gus’s New York Pizza & Bar gussnewyorkpizzabarmenu.com charleyssportsgrill.com TOTAL WINE & MORE Multiple Locations WINE STORE Costco costco.com Trader Joe’s traderjoes.com totalwine.com SCALE & FEATHER MEADERY 1050 N Fairway Dr Building E, Suite 112 Avondale, AZ 85323 623.440.8931 WINERY Oak Creek Vineyards & Winery oakcreekvineyards.net Winery 101 winery101.com scaleandfeather.com WEST Shopping Jewelry Store Osborn Jewelers GCI1061609-01 Basic $1,625.56 9500 SPORTING
2023
Best of Desert - Community’s Choice Awards | JUNE 2023 | 61 2023 WINNERS 2023 FINALISTS SPORTS & FITNESS – WEST TOPGOLF 9500 Talking Stick Way Scottsdale, AZ 85256 480.240.2402 DRIVING RANGE Bellair Golf Park bellairgolfpark.com Wigwam Golf Club wigwamgolf.com topgolf.com EŌS FITNESS Multiple Locations FITNESS CENTER/GYM F45 Training North Peoria f45training.com Goodyear Recreation Center grc.goodyearaz.gov eosfitness.com BRIARWOOD COUNTRY CLUB 20800 N 135th Ave Sun City West, AZ 85375 623.584.5600 GOLF COURSE Encanto Golf Course phoenix.gov Wigwam Golf Club wigwamgolf.com briarwoodcc.com WIGWAM GOLF CLUB 451 N Old Litchfield Rd Litchfield Park, AZ 85340 623.935.9414 GOLF SHOP PGA TOUR Superstore Glendale pgatoursuperstore.com The Views Golf Club Pro Shop theviewsgolfclub.com wigwamgolf.com WHITE TANK MOUNTAIN REGIONAL PARK Waterfall Trail 20304 West White Tank Mountain Road Waddell, AZ 85355 602.506.2930 HIKING TRAIL South Mountain Park and Preserve phoenix.gov Thunderbird Conservation Park glendaleaz.com maricopacountyparks.net 2023 WINNERS 2023 FINALISTS SPORTS & FITNESS – WEST PEOPLE CABELA’S Multiple Locations SPORTING GOODS/OUTDOOR STORE Big 5 Sporting Goods big5sportinggoods.com DICK’S Sporting Goods dickssportinggoods.com stores.cabelas.com EŌS FITNESS Multiple Locations YOGA/PILATES STUDIO Club Pilates clubpilates.com Healing Space Yoga Studio azhealingspace.com eosfitness.com CECILIA ARMOUR EōS Fitness Multiple Locations PERSONAL TRAINER Marty Bermy The Iron Shed Find Us On Facebook Melinda Parshall VASA Fitness vasafitness.com eosfitness.com 2023 WINNERS 2023 FINALISTS TOP EMPLOYERS – WEST CHARLEY’S SPORTS GRILL 8110 W Union Hills Dr #350 Glendale, AZ 85308 623.322.3593 LOCALLY OWNED BUSINESS Mathnasium of Litchfield Park mathnasium.com Trinity Chiropractic trinitychiroaz.com charleyssportsgrill.com AVONDALE ELEMENTARY SCHOOL DISTRICT 295 West Western Ave Avondale, AZ 85323 623.772.5000 PLACE TO WORK Charley’s Sports Grill charleyssportsgrill.com Mathnasium of Litchfield Park mathnasium.com chooseaesd.org
62 | JUNE 2023 | Best of Desert - Community’s Choice Awards AR-GCI1058791-02 2023 WINNERS 2023 FINALISTS VEHICLES, DEALERS & SERVICES – WEST AVONDALE TOYOTA 10005 Papago Fwy Avondale, AZ 85323 844.610.8941 AUTO DEALER SERVICE DEPARTMENT Larry Miller Dodge Ram larrymillerdodge.com Sands Chevrolet sandsglendale.com avondaletoyota.com SAFELITE AUTOGLASS Multiple Locations AUTO GLASS REPAIR COMPANY 11 Bravo Mobile Auto Glass 11bravomobileauto.com Venom Glass venomglassllc.com safelite.com PETE NELSON AUTOMOTIVE 9000 N 103rd Ave Sun City, AZ 85351 623.974.4723 AUTO REPAIR SHOP Litchfield Auto Repair litchfieldauto.net Sun Devil Auto sundevilauto.com petenelsons.com 3 MINUTE EXPRESS CAR WASH Multiple Locations CAR WASH/DETAIL SHOP Cobblestone Auto Spa cobblestone.com Quick Quack Car Wash dontdrivedirty.com 3mincarwash.com LARRY H. MILLER TOYOTA 8633 W Bell Rd Peoria, AZ 85382 480.865.3990 NEW CAR DEALERSHIP Avondale Toyota avondaletoyota.com Sanderson Ford sandersonford.com larrymillertoyota.com WEST Vehicles, Dealers & Services Car Wash/Detail Shop 3 Minute Express Car Wash GCI1058791-02 quarter $2,788.60 2023 WINNERS 2023 FINALISTS VEHICLES, DEALERS & SERVICES – WEST SANDERSON FORD 6400 N 51st Ave Glendale, AZ 85301 623.842.8600 OVERALL AUTO DEALERSHIP Auto House Trevor Skoro autohouse.com Courtesy Chevrolet courtesychev.com sandersonford.com CAMPING WORLD Multiple Locations RV DEALERSHIP La Mesa RV lamesarv.com Sun City RV suncityrv.com campingworld.com DISCOUNT TIRE Multiple Locations TIRE CENTER Firestone Complete Auto Care firestonecompleteautocare.com Larry H. Miller Chrysler Jeep Dodge Ram Surprise chryslerjeepdodgesurprise.com discounttire.com
Best of Desert - Community’s Choice Awards | JUNE 2023 | 63 THANK YOU! Call Us Today 623.780.4060 Forrestanderson.net Lorem ipsum HVAC & Plumbing needs with REDEFINE YOUR EXPERIENCE OF COMFORT
64 | JUNE 2023 | Best of Desert - Community’s Choice Awards EnergyShieldWindowsAndDoors.com Se Habla Espanol Factory Showroom Open Mon - Fri 9AM - 5PM, Sat 9AM - 1PM 330 S. 75th Ave • Phoenix • 602.635.7883 OPEN MON. - FRI. 7AM - 5PM, CLOSED SAT-SUN ROC# 310824 SCHEDULE YOUR FREE IN-HOME ESTIMATE 602-635-7883 SUBCONTRACTORS FACTORY DIRECT INSTALLERS LICENSED GENERAL CONTRACTOR 5 WINDOW SPECIAL $3,550 Installed Max Size 30 Sq. Ft. per Window • PREMIUM WINDOWS • REVOLUTIONARY GLASS • MAXIMUM HEAT REFLECTION • EXTREME DUST CONTROL • HIGHEST POSSIBLE QUALITY 0% INTEREST OAC • ROC#310824 NOW OFFERING • Exterior picture of your home • Exterior pictures of your window or doors • Width & Height of each window needed quotes@energyshieldwd.com ARIZONA’S TRUSTED WINDOW & DOOR COMPANY MANUFACTURED EXCLUSIVELY FOR ARIZONA IN ARIZONA! AR-GCI1069569-02

Turn static files into dynamic content formats.

Create a flipbook
Issuu converts static files into: digital portfolios, online yearbooks, online catalogs, digital photo albums and more. Sign up and create your flipbook.
2023 Community Choice Awards by LOCALiQ - Issuu