Skip to main content

VOL 56 N1 DE 2026

Page 1


GASTROENTEROLÓGICA LATINOAMERICANA

SECCIÓN EVIDENCIAS

¡Aleluya, hemos cruzado el Rubicón!

Jorge A. Olmos

Rol de la inteligencia artificial en investigación clínica: aplicaciones metodológicas y desafíos actuales

Santiago Decotto, Rodolfo Pizarro

El estudio observacional

Mirta Ciocca, Ricardo Mastai, Arturo Cagide

REVISIONES

Malabsorción e intolerancia a la lactosa

Vol 54 Nº4 año 2024

ISSN: 2469-1119

Morbimortalidad posgastrectomía abierta subtotal versus total por cáncer de estómago, con intención curativa: hallazgos en una cohorte histórica de un centro oncológico

Frecuencia de pólipos colorrectales en menores vs mayores de cincuenta años: análisis de 4718 videocolonoscopías mediante minería de datos

Jesús Chang-Hermida, Fernando Miñán-Arana, Arantza Gabriela Carriel-Mendoza, Leonardo Aveiga-Cedeño, Miguel Puga-Tejada

Medardo Fernández-Chávez, Juliana Paiz-Tierno, Adriana Vella-Milagro, Santiago Arcentales-Peralta, Leonardo Aveiga-Cedeño, María Carolina Conlon, Renata Alina Spiazzi, María Jimena Cerezo, Ana OmonteZambrana, María Claudia Milano, Fátima Fernández, Ricardo Gotti, Miguel Puga-Tejada

Prevalencia de disquecia infantil: experiencia del grupo de trabajo en trastornos del eje cerebro-intestino de la Sociedad Latinoamericana de Gastroenterología, Hepatología y Nutrición Pediátrica (SLAGHNP)

Insuficiencia pancreatica exocrina en cirrosis hepática: estudio de corte transversal

Ana L. Ordoñez-Vázquez, Abigail Fuentes-Montalvo, Enrique Coss-Adame

Redefiniendo la evaluación endoscópica inicial de los síntomas esofágicos: hacia un paradigma diagnóstico basado en la precisión

Juan I. Olmos, John E. Pandolfino

Intervenciones nutricionales emergentes para el síndrome de intestino irritable: dieta reducida en almidón y sacarosa, y dieta Mediterránea

Avances en el tratamiento del estreñimiento refractario pediátrico

Sara Noemí Schaab, María Cielo Gutiérrez

Cecilia Zubiri, Anabella Zosi, Román Bigliardi

Variante anatómica biliar infrecuente observada mediante estudio endoscópico y colangioresonancia magnética

Víctor Henríquez Auba, Carmen Hurtado, Carla Mancilla Asencio, Pauline Herman, Alexandra Neman, Zoltán Berger

Carlos Alberto Velasco-Benítez, Diana Cárdenas-Sterling, Claudia Jimena Ortiz-Rivera, Edgar Játiva-Mariño, Fátima Azereth Reynoso Zarzosa, Mariana Xail Espriu Ramírez, Jorge Alberto Macías-Flores, Roberto Arturo Zablah Córdova, Ricardo Ariel Chanis Águila, Trini Fragoso Arbelo, Miltón Mejía Castro, Yunuen Rivera Suazo

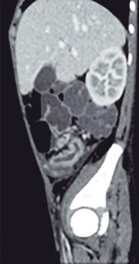
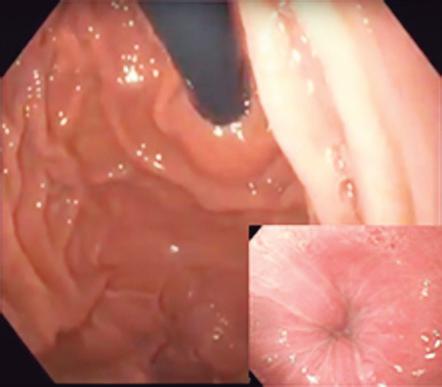
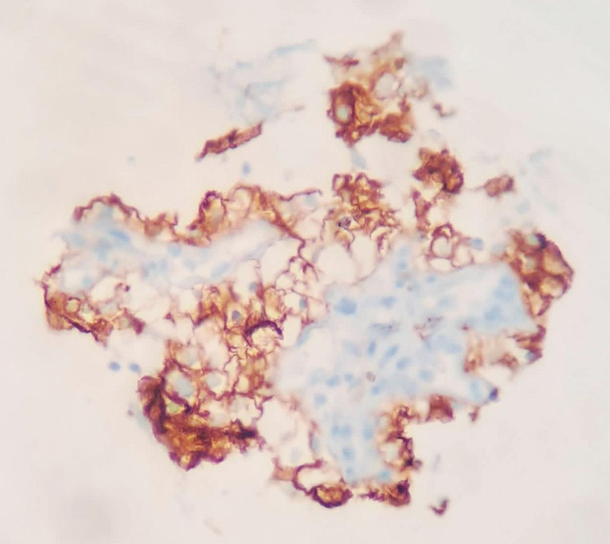
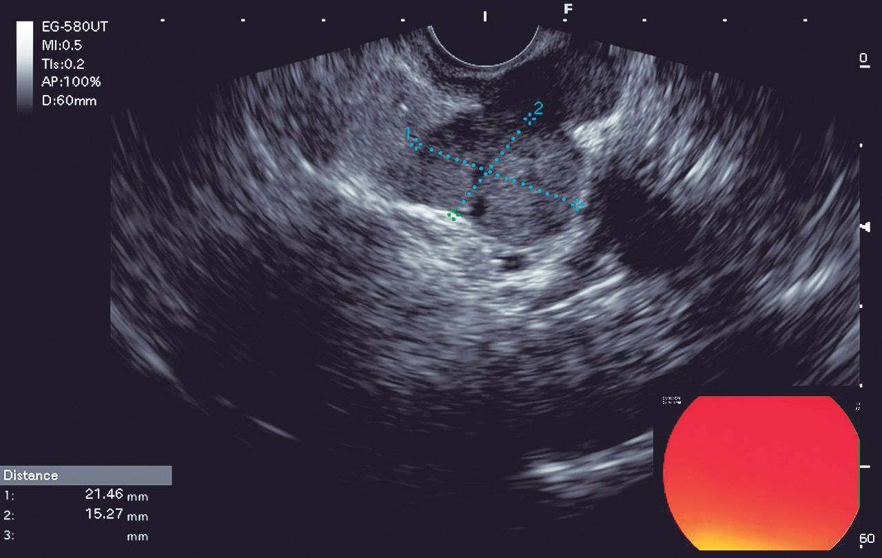
Biopsia guiada por ecoendoscopía como herramienta diagnóstica mínimamente invasiva para metástasis mesorrectal de carcinoma de células claras renales: reporte de caso

Neoplasia sólida pseudopapilar de páncreas: diagnóstico y manejo quirúrgico en una paciente joven

Nicole Marie Kahn, Mayra Florencia Defanti, Yanina Gabriela Carlino

Elías Lessin García Alba, Magalí Chahdi Beltrame, Natalia Soledad Ruíz, Gabriel Cervantes, Marcelo Enrique Lenz Virreira, Francisco Juan Mattera, Emilio Gastón Quiñonez

Más allá de lo frecuente. Un desafío diagnóstico en dolor abdominal

Iara Amira Yalis, Marcelo Milocco, Luis María Mercado, Pablo Alberto Farinelli

Tatiana Noemí Uehara, Juan Manuel de Arechavala, Fernanda Dorado, Verónica Eugenia Corvalán, Fernando Bocelo, Betiana Pucci

Factores pronósticos y supervivencia en pacientes operados de adenocarcinoma ductal de páncreas: análisis retrospectivo multicéntrico

MANUSCRITOS ORIGINALES

Sofía Gamboa Miño, Gustavo Kohan, Rodrigo Vergara Sandoval, Josefina Dib Hasan, Aldana Iaccarino, Frank Deroi Sánchez, Eduardo J. Houghton

Semaglutida y enfermedad hepática grasa asociada a disfunción metabólica: una revisión sistemática

Walter Masson, Carla Solís, Juan Patricio Nogueira

Aplicabilidad de la Clasi cación de Londres para caracterizar los trastornos de la defecación: estudio retrospectivo en un centro de atención terciaria de Argentina

Mauro Santana, María Marta Piskorz, Adriana Tevez, Fernanda Gutierrez Arispe, Carolina Acquafresca, Tatiana Uehara, Esteban González Ballerga, Jorge A. Olmos

Detección de hepatitis C y disparidad de género en las tasas de positividad en Argentina: un estudio multicéntrico Manuel Barbero, Ignacio Roca, Lucía Navarro, Nicolás Domínguez, Omar Galdame, María Del Carmen Puente, Laura González, Lucía Guillén, María Virginia Gustincic, Fernando Cairo

Enfermedad de Crohn ileal como forma de presentación de enfermedad inflamatoria intestinal en pediatría

Uso exitoso de stent biliar en laceración profunda esofágica por cuerpo extraño en un niño de 1 año

Victoria Rodríguez, Martina Cereijo, Mariela Antoniska, Laura Busquet, Adriana Bottero, Mónica Contreras

Rosangela Ramírez-Barranco, Álvaro Andrés Gómez-Venegas, Mónica Contreras Ramírez

Hemangioendotelioma hepático infantil con elevación de alfa-fetoproteína: reporte de caso y revisión

María Laura Valberdi Lecce, María Cristina Arregui, Carmen Lucía Otegui Banno, Andrea Besga

Más allá de lo frecuente. Un desafío diagnóstico en dolor abdominal

Tatiana Noemí Uehara, Juan Manuel de Arechavala, Fernanda Dorado, Verónica Eugenia Corvalán, Fernando Bocelo, Betiana Pucci

Variante anatómica biliar infrecuente observada mediante estudio endoscópico y colangioresonancia magnética

Iara Amira Yalis, Marcelo Milocco, Luis María Mercado, Pablo Alberto Farinelli

Sociedad de Gastroenterología del Uruguay Órgano o cial

Órgano oficial de la Sociedad Argentina de Gastroenterología (SAGE)

Es el órgano oficial de la Sociedad Argentina de Gastroenterología (SAGE)

COMITÉ EDITORIAL

EDITOR EN JEFE

Jorge A. Olmos

Hospital de Clínicas José de San Martín, Universidad de Buenos Aires. Programa en Efectividad Clínica. Universidad de Buenos Aires, CABA

EDITORES ASOCIADOS

Mercedes Manresa

Instituto de Gastroenterología Salim, Salta Capital. Curso de investigación, bioinformática y bioestadística. Hospital de Clínicas José de San Martín. Universidad de Buenos Aires, CABA

María Marta Piskorz

Hospital de Clínicas José de San Martín, Universidad de Buenos Aires. Programa en Efectividad Clínica. Universidad de Buenos Aires, CABA

Juan Pablo Stefanolo

Hospital Universitario - Fundación Favaloro. Programa en Efectividad Clínica. Universidad de Buenos Aires, CABA

Rodolfo Pizarro

Hospital Italiano de Buenos Aires. Master en Efectividad Clínica, CABA

Los integrantes del Comité Editorial acreditan formación en Edición y Corrección de Publicaciones Científicas. Universidad de Valencia, España Para la evaluación y preparación de los manuscritos, se siguen los requerimientos del COPE y el ICMJE

COMITÉ INTERNACIONAL

COORDINADOR DE EDITORES ASOCIADOS

Marcelo Vela - Mayo Clinic, Arizona, USA.

EDITORES ASOCIADOS

Alberto Caminero - Inés Pinto-Sánchez

Instituto de Investigación de enfermedades digestivas Farncombe Family. Universidad de McMaster, Hamilton, Ontario Canadá.

SECRETARIA

Tamara Alvarez Worobey

PRODUCCIÓN Y EDICIÓN

Raúl Groizard

DISEÑO Y ARMADO DIGITAL

Carlos Daniel Casuscelli

CORRECTORES

Esperanza Janeiro / Gabriela Churla / María Nochteff Avendaño

PUBLICIDAD

Establecer contacto con: Secretaría Revista Acta: actasage@gmail.com o Sociedad Argentina de Gastroenterología: sagesecretaria@gmail.com Tel.: 4816-9396/9391

SEGUINOS EN NUESTRAS REDES SOCIALES /actagastro /ACTA_Gastro /actagastro

COMISIÓN DIRECTIVA SAGE - PERÍODO 2025

PRESIDENTE

Dra. Silvina Goncálves

VICEPRESIDENTE

Dra. Rosa Ramos

SECRETARIO

Dr. Gabriel Ahumarán

PROSECRETARIO

Dr. Javier Valentini

TESORERA

Dra. Patricia González

PROTESORERA

Dra. Agostina Pascual Russo

VOCALES TITULARES

Dra. Florencia Molfeso

Dr. Pablo Calzetta

Dr. Ezequiel Balaban

VOCALES SUPLENTES

Dra. Vanina Forestier

Dr. Nelson Mejía

Dra. Vanessa Rojas

ÓRGANO DE FISCALIZACIÓN TITULAR

Dr. Alfredo García

ÓRGANO DE FISCALIZACIÓN SUPLENTE

Dra. Judith Doweck

Órgano oficial de la Sociedad Argentina de Gastroenterología (SAGE)

Es el órgano oficial de la Sociedad Argentina de Gastroenterología (SAGE)

REVISORES NACIONALES

Adet Ana

Araya Valentina

Argüero Julieta

Arregui Cristina

Barreyro Fernando

Basso Sandra

Bellicoso Maricel

Beskow Axel

Bestani Claudia

Bigliardi Román

Bosch Jorge

Bun Maximiliano

Cairo Fernando

Cassella Federico

Campana Juan Pablo

Cañero Velasco María C.

Carballido Marcela

Carraro Cecilia

Cartier Mariano

Cerisoli Cecilio

Collia Karina

Colombato Luis

Contreras Mónica

Costa Florencia

Curia Andrea

Curvale Cecilia

Daruich Jorge

De Paula Juan Andrés

Doweck Judith

Dulbecco Mariela

Etchevers Josefina

Facio Lucila

Fernández José L.

Galletto Paula

Garbi María Laura

Gómez Estanislao

González Andrea

González Sueyro Ramiro

Gorodner Verónica

Gualdrini Ubaldo

Gutiérrez María Cielo

Gutiérrez Silvia

Guzmán Mauricio

Hwang Hui Jer

Kujta Nadia

Lafage Matías

Laudanno Oscar

Loureiro Mariano

Lumi Carlos Miguel

Mahler Manuel

Mauriño Eduardo

Mauro Ezequiel Matías

Matoso Dolores

McCormack Lucas

Mendez Guillermo

Milito Daniela

Moreira Alejandro

Moreno María Laura

Nachman Fabio

Narvaez Adrián

Nieponice Alejandro

O’Connor Juan Manuel

Olmos Juan Ignacio

Pascual Russo Agostina

Pasqua Analía Verónica

Pollarsky Florencia

Pucci Betiana

Ramonet Margarita

REVISORES INTERNACIONALES

Alvares da Silva Mario Reis

Burgos Herbert

Cohen Henry

Lanas Ángel

Llor Xavier

Medrana Carlos Robles

Nabon Natalie

Olano Carolina

Pereira Lima Julio Carlos

Remes-Troche José M.

Propiedad intelectual Nº 231736 / Revista indexada en PubMed Las opiniones y afirmaciones expresadas en artículos, editoriales u otras secciones de Acta Gastroenterológica Latinoamericana corresponden a los respectivos autores.

Rey Alejandro

Rocca Ana

Ruf Andrés

Sabban Judith Cohen

Sanguinetti José María

Santana Mauro

Santos Brian

Schlottmann Fran

Seehaus Alberto

Smecuol Edgardo

Soifer Luis

Soler Silvia Susana

Sosa Eduardo

Spina Juan

Tanno Hugo

Tenca Julio

Toca María del Carmen

Uehara Tatiana

Uranga Lucio

Vaccaro Carlos

Vaccaro María Inés

Varela Amanda

Villarroel Mariano

Volpacchio Mariano

Wagener Marta

Wainstein Daniel

Wonaga Andrés

Yamasato Florencia

Zagalsky David

Zamora Natalia

Zandalazini Hugo

Zubiri Cecilia

Riquelme Arnoldo

Tchekmedyian Asadur Jorge

Verdú Elena

Edita: Sociedad Argentina de Gastroenterología, Ciudad Autónoma de Buenos Aires, Argentina. ISSN 2469 -1119

u ÍNDICE

SECCIÓN EVIDENCIAS

Órgano oficial de la Sociedad Argentina de Gastroenterología (SAGE)

Rol de la inteligencia artificial en investigación clínica: aplicaciones metodológicas y desafíos actuales

Santiago Decotto, Rodolfo Pizarro

Redefiniendo la evaluación endoscópica inicial de los síntomas esofágicos: hacia un paradigma diagnóstico basado en la precisión

Juan I. Olmos, John E. Pandolfino

Avances en el tratamiento del estreñimiento refractario pediátrico

Cecilia Zubiri, Anabella Zosi, Román Bigliardi

Más allá de lo frecuente. Un desafío diagnóstico en dolor abdominal

Tatiana Noemí Uehara, Juan Manuel de Arechavala, Fernanda Dorado, Verónica Eugenia Corvalán, Fernando Bocelo, Betiana Pucci

Masson, Carla Solís, Juan Patricio Nogueira

Detección de hepatitis C y disparidad de género en las tasas de positividad en Argentina: un estudio multicéntrico

Manuel Barbero, Ignacio Roca, Lucía Navarro, Nicolás Domínguez, Omar Galdame, María Del Carmen Puente, Laura González, Lucía Guillén, María Virginia Gustincic, Fernando Cairo

cincuenta años: análisis de 4718 videocolonoscopías mediante minería de datos

Medardo Fernández-Chávez, Juliana Paiz-Tierno, Adriana Vella-Milagro, Santiago Arcentales-Peralta, Leonardo Aveiga-Cedeño, María Carolina Conlon, Renata Alina Spiazzi, María Jimena Cerezo, Ana Omonte-Zambrana, María Claudia Milano, Fátima Fernández, Ricardo Gotti, Miguel Puga-Tejada

Insuficiencia pancreatica exocrina en cirrosis hepática: estudio de corte transversal

Víctor Henríquez Auba, Carmen Hurtado, Carla Mancilla Asencio, Pauline Herman, Alexandra Neman, Zoltán Berger

CASOS CLÍNICOS Biopsia guiada por ecoendoscopía como herramienta diagnóstica mínimamente invasiva para metástasis mesorrectal de carcinoma de células claras renales: reporte de caso

Nicole Marie Kahn, Mayra Florencia Defanti, Yanina Gabriela Carlino

SOLUCIÓN DEL CASO

Enfermedad de Crohn ileal como forma de presentación de enfermedad inflamatoria intestinal en pediatría

Victoria Rodríguez, Martina Cereijo, Mariela Antoniska, Laura Busquet, Adriana Bottero, Mónica Contreras

Hemangioendotelioma hepático infantil con elevación de alfa-fetoproteína: reporte de caso y revisión

María Laura Valberdi Lecce, María Cristina Arregui, Carmen Lucía Otegui Banno, Andrea Besga

Más allá de lo frecuente. Un desafío diagnóstico en dolor abdominal

Tatiana Noemí Uehara, Juan Manuel de Arechavala, Fernanda Dorado, Verónica Eugenia Corvalán, Fernando Bocelo, Betiana Pucci

Barbero, Ignacio Roca, Lucía Navarro, Nicolás Domínguez, Omar Galdame, María

Medardo Fernández-Chávez, Juliana Paiz-Tierno, Adriana Vella-Milagro, Santiago Arcentales-Peralta, Leonardo Aveiga-Cedeño, María Carolina Conlon, Renata Alina Spiazzi, María Jimena Cerezo, Ana Omonte-Zambrana, María Claudia Milano, Fátima Fernández, Ricardo Gotti, Miguel Puga-Tejada

CASE REPORTS Endoscopic Ultrasound-Guided Biopsy as a Minimally Invasive Diagnostic Tool for Mesorectal Metastasis From Clear Cell Renal Carcinoma: A Case Report

Nicole Marie Kahn, Mayra Florencia Defanti, Yanina Gabriela Carlino

SOLUTION OF THE CASE

Ileal Crohn’s Disease as a Form of Presentation of Inflammatory Bowel Disease in Pediatrics

Victoria Rodríguez, Martina Cereijo, Mariela Antoniska, Laura Busquet, Adriana Bottero, Mónica Contreras

Infantile Hepatic Hemangioendothelioma with Elevated Alpha-fetoprotein: Case Report and Review

María Laura Valberdi Lecce, María Cristina Arregui, Carmen Lucía Otegui Banno, Andrea Besga

Beyond the Usual: A Diagnostic Challenge in Abdominal Pain

Tatiana Noemí Uehara, Juan Manuel de Arechavala, Fernanda Dorado, Verónica Eugenia Corvalán, Fernando Bocelo, Betiana Pucci

♦SECCIÓN EVIDENCIAS

Rol de la inteligencia artificial en investigación clínica:

aplicaciones metodológicas y desafíos actuales

Servicio de Cardiología, Hospital Italiano de Buenos Aires. Ciudad Autónoma de Buenos Aires. Argentina.

Acta Gastroenterol Latinoam 2026;56(1):7-11

Recibido: 15/03/2026 / Aceptado: 26/03/2026 / Publicado online: 31/03/2026 / https://doi.org/0.52787/agl.v56i1.619

Introducción

La inteligencia artificial (IA) ha experimentado un crecimiento exponencial en los últimos años, impulsado por el desarrollo de algoritmos de aprendizaje automático, el aumento en la capacidad de procesamiento y la creciente disponibilidad de grandes bases de datos clínicos.1, 2 Su utilización se ha expandido hacia múltiples áreas de la práctica clínica cotidiana.3-4

Inicialmente asociada al análisis de imágenes o a la automatización de procesos diagnósticos, la IA ha ampliado su campo de acción y hoy interviene también en la generación de modelos predictivos, la estratificación de riesgo y la optimización de decisiones clínicas. En

paralelo, la investigación científica ha experimentado una transformación similar: muchas veces la magnitud y complejidad de los datos disponibles superan las posibilidades de los enfoques estadísticos tradicionales. En este contexto, la IA emerge como una herramienta especialmente útil para abordar dicha complejidad. Es así que análisis bibliométricos recientes han documentado un incremento sostenido en el número de publicaciones y citaciones vinculadas a la IA aplicada a la salud en las últimas décadas.1-5

La IA no se limita al análisis de grandes bases de datos, sino que además puede acompañar distintas etapas del proceso de investigación, desde la formulación de hipótesis y el diseño metodológico hasta el análisis de resultados e incluso la redacción científica.6

Sin embargo, su incorporación no está exenta de desafíos. La IA debe entenderse como un recurso complementario, que potencia el trabajo científico, pero no reemplaza el criterio clínico ni el rigor metodológico. Su utilización responsable exige comprender tanto sus fortalezas como sus limitaciones.7-8

Correspondencia: Santiago Decotto

Correo electrónico: santiago.decotto@hospitalitaliano.org.ar

En esta breve revisión se analizan las principales aplicaciones de la IA en el diseño, la ejecución y el análisis de estudios clínicos, diferenciando su aporte según el tipo de diseño metodológico y destacando las consideraciones que deben tenerse en cuenta para su implementación adecuada en investigación.

Rol de la inteligencia artificial en la investigación clínica: aplicaciones metodológicas y desafíos actuales Santiago Decotto y col.

IA en la fase de diseño del estudio de investigación

La IA puede desempeñar un papel relevante desde las etapas iniciales del proceso de investigación, incluso antes del inicio del reclutamiento de pacientes o la recolección de datos. En la fase de diseño, estas herramientas pueden contribuir a optimizar la formulación de hipótesis, la planificación metodológica y la estructuración del protocolo.

En primer lugar, el análisis automatizado de grandes bases de datos clínicos permite identificar patrones, asociaciones preliminares o ciertas tendencias que pueden dar origen a nuevas preguntas de investigación. A diferencia de los enfoques tradicionales, los métodos basados en el aprendizaje automático pueden explorar relaciones complejas o no lineales entre variables, facilitando la generación de nuevas hipótesis basadas en datos.9

Asimismo, la IA puede asistir en la revisión de la literatura científica, permitiendo realizar búsquedas más amplias y estructuradas, identificar artículos relevantes, detectar vacíos de conocimiento y sintetizar la información de manera preliminar.10 Si bien estas herramientas no sustituyen la evaluación crítica del investigador, pueden mejorar la eficiencia y reducir el tiempo necesario para el análisis inicial del tema en cuestión.

En el plano metodológico, la IA también puede emplearse para realizar simulaciones que ayuden a estimar los tamaños muestrales o prever tasas de eventos bajo diferentes supuestos. Estas simulaciones resultan especialmente útiles en los estudios con desenlaces poco frecuentes o en poblaciones heterogéneas, donde la planificación tradicional muestra mayores incertidumbres.11

Por último, en estudios que utilizan historias clínicas electrónicas o registros institucionales, los algoritmos de IA pueden colaborar en la definición operativa de las variables, la estandarización de criterios y la identificación automática de potenciales participantes que cumplan con los criterios de inclusión y exclusión previamente definidos, pudiendo reducir errores derivados de la selección manual de casos.12

IA en ensayos clínicos aleatorizados

En los ensayos clínicos randomizados, la IA puede intervenir en múltiples etapas del estudio. Como se mencionó previamente, los algoritmos aplicados a historias clínicas electrónicas permiten identificar de manera automatizada pacientes potencialmente elegibles según criterios predefinidos, optimizando tiempos y reduciendo sesgos en el reclutamiento.12 Asimismo, los modelos predictivos pueden contribuir a una mejor estratificación

basal del riesgo, favoreciendo una asignación más equilibrada de los participantes.

En diseños más complejos, es posible integrar la IA en esquemas de aleatorización adaptativa, un enfoque en el cual la probabilidad de asignación a cada rama se ajusta dinámicamente a lo largo del estudio en función de los resultados interinos acumulados. Este tipo de diseño busca mejorar la eficiencia del ensayo y optimizar la utilización de la información generada durante su desarrollo. 13-14 Además, ya existen herramientas automatizadas que pueden facilitar el monitoreo de eventos adversos y la detección temprana de desviaciones del protocolo.

Si bien estas aplicaciones no modifican los principios fundamentales del ensayo clínico, pueden mejorar su eficiencia operativa y la calidad del control de los datos.

IA en estudios observacionales y análisis de grandes bases de datos

En los estudios observacionales, tanto prospectivos como retrospectivos, la IA ofrece herramientas útiles para analizar grandes volúmenes de información.

En cohortes prospectivas, puede utilizarse durante el seguimiento para actualizar estimaciones de riesgo, incorporar nuevas variables a lo largo del tiempo y facilitar la identificación automatizada de eventos clínicos.

En los estudios retrospectivos y en el análisis de grandes bases de datos, ámbito donde probablemente la IA ha tenido mayor impacto, su utilidad radica en la capacidad de organizar y analizar grandes volúmenes de información ya disponible. En los últimos años se han vuelto cada vez más frecuentes los estudios retrospectivos basados en bases de datos nacionales o internacionales, especialmente en países con sistemas de información completamente digitalizados. Muchos de estos trabajos se publican en revistas médicas de alto impacto y aportan evidencia que, en algunos casos, es considerada para la elaboración o actualización de guías de práctica clínica.

En este contexto, los métodos basados en IA permiten revisar miles de registros en poco tiempo, encontrar asociaciones entre múltiples variables y detectar patrones que serían difíciles de identificar manualmente. También pueden ayudar a clasificar pacientes en grupos con características similares y extraer información relevante de las evoluciones médicas o informes.15 Estas herramientas amplían las posibilidades de análisis y pueden generar nuevas hipótesis de investigación. Sin embargo, los resultados obtenidos mediante estos métodos deben interpretarse con cautela y validarse en otras poblaciones

Rol de la inteligencia artificial en la investigación clínica: aplicaciones metodológicas y desafíos actuales Santiago Decotto y col.

para evitar llegar a conclusiones erróneas o asociaciones no reproducibles.

IA en el análisis estadístico y la redacción científica

Además de su papel en el diseño y la recolección de datos, la IA puede cumplir una función importante en la etapa de análisis estadístico, especialmente cuando se trabaja con muchas variables o con información diversa. Estos métodos permiten analizar múltiples factores al mismo tiempo y explorar cómo se relacionan entre sí, lo que facilita la construcción de modelos pronósticos y la integración de datos clínicos, estudios de laboratorio, imágenes o registros electrónicos dentro de un mismo análisis.

Una aplicación particularmente útil es el manejo de datos faltantes (missing data), una situación frecuente en la práctica cotidiana real. En lugar de excluir casos o reemplazar valores de manera simple, los algoritmos pueden estimar la información ausente considerando el conjunto completo de variables disponibles. Esto puede ayudar a reducir sesgos y mejorar la solidez de los resultados.16

Asimismo, las técnicas de agrupamiento (clustering) permiten identificar subgrupos de pacientes con características similares dentro de una misma cohorte. Esto puede ser útil para reconocer distintos perfiles clínicos, comprender mejor la heterogeneidad de ciertas enfermedades y generar nuevas hipótesis de investigación.

Sin embargo, el uso de estas herramientas requiere precaución. Un modelo no debe considerarse válido solo porque funciona bien en los datos con los que fue desarrollado. Es necesario evaluar su desempeño en poblaciones independientes para comprobar que los resultados sean consistentes y aplicables en otros contextos. También es importante evitar que el modelo se ajuste en exceso a la base original, ya que esto puede limitar su utilidad práctica.

Por otro lado, distintas herramientas de IA aplicadas a la redacción científica pueden colaborar en la organización del manuscrito, mejorar la claridad del texto y facilitar su corrección gramatical o traducción a otros idiomas.17

Limitaciones de IA en investigación

Si bien la IA ofrece múltiples ventajas, también presenta limitaciones que deben tenerse en cuenta. En primer lugar, los resultados dependen en gran medida de la calidad de los datos utilizados. Si la información es incompleta, poco representativa o contiene errores, los modelos pueden generar conclusiones poco confiables o difíciles de aplicar en otros contextos.

Además, algunos algoritmos funcionan como “black box”. Esto significa que aunque el modelo pueda generar una predicción o recomendación con alta precisión, el proceso interno mediante el cual llega a esa conclusión no siempre es transparente ni fácilmente comprensible, pudiendo incluso no resultar lógico. Esta falla para interpretar el proceso de análisis puede dificultar la comprensión de los hallazgos, limitar la confianza en los resultados y representar una barrera para su aplicación en la práctica clínica.18 A estas limitaciones técnicas se suman consideraciones éticas relevantes. El uso de grandes bases de datos clínicos exige garantizar la protección de la privacidad y confidencialidad de la información, así como el cumplimiento de los marcos regulatorios vigentes. En la Figura Central se esquematiza el rol actual de la IA en investigación clínica, integrando sus principales aplicaciones metodológicas y los desafíos asociados.

Herramientas de inteligencia artificial aplicadas al proceso de investigación clínica

En los últimos años han surgido diversas herramientas basadas en inteligencia artificial que pueden asistir al investigador en las distintas etapas del proceso científico, desde la búsqueda bibliográfica hasta la comunicación visual de los resultados. En la fase inicial, plataformas como OpenEvidence y SciSpace permiten realizar búsquedas semánticas en la literatura científica, resumir artículos y extraer información relevante de forma eficiente, facilitando la identificación de vacíos de conocimiento y la formulación de nuevas preguntas de investigación. Durante el diseño metodológico y la planificación del estudio, modelos de lenguaje como ChatGPT y Claude pueden colaborar en la estructuración de hipótesis, la definición de variables y la revisión de la coherencia del protocolo. En la etapa de análisis de datos, estas herramientas también pueden utilizarse como apoyo para la generación de scripts en entornos estadísticos como R o Python, la exploración de bases de datos complejas y la interpretación preliminar de resultados. Asimismo, en la redacción científica pueden contribuir a mejorar la claridad del texto, organizar el manuscrito y facilitar su traducción a otros idiomas. Finalmente, para la comunicación visual de los hallazgos, plataformas como BioRender, Canva, Gamma o SciSpace permiten generar esquemas, figuras científicas y visual abstracts que facilitan la difusión de los resultados. Si bien estas herramientas pueden aumentar la eficiencia del proceso de investigación, su utilización debe considerarse complementaria al criterio clínico y al rigor metodológico del investigador (Tabla 1).

Rol de la inteligencia artificial en la investigación clínica: aplicaciones metodológicas y desafíos actuales Santiago Decotto y col.

Figura central. Inteligencia artificial en investigación clínica

DISEÑO

• Generación de hipótesis

• Revisión literatura

• Simulación muestral

ESTUDIOS OBSERVACIONALES

• Big data

• Detección de patrones

• Clasificación de pacientes

ENSAYOS RANDOMIZADOS

• Reclutamiento

• Estra ficación

• Randomización adapta va

IA EN

INVESTIGACIÓN CLÍNICA

ANÁLISIS Y REDACCIÓN

• Modelos complejos

• Manejo de datos faltantes

• Asistencia en manuscritos

LIMITACIONES

• Calidad de datos • Modelos ''black box'' • Necesidad de validación • Consideraciones é cas

Tabla 1. Herramientas de inteligencia artificial aplicadas a distintas etapas del proceso de investigación clínica

Etapa del proceso de investigación

Búsqueda bibliográfica y revisión de literatura

Diseño del estudio y formulación de hipótesis

Objetivo principal Herramientas de IA recomendadas Aplicaciones prácticas

Identificar artículos relevantes, resumir evidencia y detectar vacíos de conocimiento

Definir hipótesis, diseño metodológico y variables del estudio

OpenEvidence, SciSpace, Semantic Scholar, Elicit

ChatGPT, Claude, Connected Papers, ResearchRabbit

Análisis estadístico y manejo de datos

Redacción del manuscrito científico

Generación de figuras, gráficos y visual abstracts

Analizar bases de datos complejas y desarrollar modelos estadísticos o predictivos

Organizar y mejorar la redacción científica

Mejorar la comunicación visual de los resultados

R, Python, JASP, ChatGPT, Claude

Búsqueda semántica de literatura científica, extracción de resultados clave de artículos, síntesis preliminar de evidencia y generación de nuevas preguntas de investigación.

Generación de hipótesis de investigación, revisión de coherencia metodológica, comparación de diseños utilizados en la literatura y sugerencias de variables, criterios de inclusión y desenlaces.

Generación y revisión de scripts estadísticos, regresiones multivariadas, análisis exploratorio de datos, clustering de pacientes y manejo de datos faltantes.

ChatGPT, Claude, Grammarly, DeepL

Asistencia en la redacción del manuscrito, mejora del estilo científico, corrección gramatical y traducción de textos científicos.

BioRender, Canva, Gamma, SciSpace, DALL·E Creación de diagramas de estudio, esquemas fisiopatológicos, gráficos científicos e infografías o visual abstracts para publicaciones y presentaciones científicas.

Rol de la inteligencia artificial en la investigación clínica: aplicaciones metodológicas y desafíos actuales Santiago Decotto y col.

Conclusión

La IA se ha incorporado progresivamente a la investigación clínica y ofrece herramientas útiles para mejorar la eficiencia, el análisis de datos complejos y la producción científica. Su capacidad para procesar grandes volúmenes de información amplía las posibilidades de estudio en distintos diseños metodológicos.

Sin embargo, su verdadero valor radica en su uso responsable y complementario. Cuando se integra con criterio científico y supervisión académica, puede contribuir a fortalecer la calidad de la evidencia sin reemplazar los fundamentos clásicos de la investigación clínica.

Propiedad intelectual. Los autores declaran que los datos y las tablas presentes en el manuscrito son originales y se realizaron en sus instituciones pertenecientes.

Financiamiento. Los autores declaran que no hubo fuentes de financiación externas.

Conflictos de interés. Los autores declaran no tener conflictos de interés en relación con este artículo.

Aviso de derechos de autor © 2026 Acta Gastroenterológica Latinoamericana. Este es un artículo de acceso abierto publicado bajo los términos de la Licencia Creative Commons Attribution (CC BY-NC-SA 4.0), la cual permite el uso, la distribución y la reproducción de forma no comercial, siempre que se cite al autor y la fuente original.

Cite este artículo como: Decotto S y Pizarro R. Rol de la inteligencia artificial en investigación clínica: aplicaciones metodológicas y desafíos actuales. Acta Gastroenterol Latinoam. 2026;56(1):7-11 https://doi.org/0.52787/agl. v56i1.619

Bibliografía

1. Dalky A, Altawalbih M, Alshanik F, et al. Global Research Trends, Hotspots, Impacts, and Emergence of Artificial Intelligence and Machine Learning in Health and Medicine: A 25-Year Bibliometric Analysis. Healthcare (Basel). 2025 Apr 13;13(8):892.

2. Kaul V, Enslin S, Gross SA. History of artificial intelligence in medicine. Gastrointest Endosc 2020;92(4):807-12.

3. Hunik L, Uijen AA, Kueper JK, et al. The role and utility of artificial intelligence and machine learning for diagnostic prediction in general practice. Eur J Gen Pract 2026;32(1):2620908.

4. Bain AP, Ngai D, Bernard PA. Clinical Decision Support Systems in Generalist Practice: Utilizing Clinical Decision Support Systems Tools to Improve Clinical Decisions and Patient Outcomes. Med Clin North Am 2026;110(2):191-207.

5. Lin M, Lin L, Lin L, Lin Z, Yan X. A bibliometric analysis of the advance of artificial intelligence in medicine. Front Med (Lausanne) 2025;12:1504428.

6. Sergi CM, Sesso HD. Artificial Intelligence and the future of clinical trials. Contemp Clin Trials Commun 2025;47:101545.

7. Raghupathi W, Raghupathi V. Big data in healthcare and medicine revisited design and managerial challenges in the age of artificial intelligence. Health Inf Sci Syst 2026;14(1):38.

8. The integration of artificial intelligence into clinical medicine: Trends, challenges, and future directions. Disease-a-Month 2025;71(6):101882.

9. Liu R, Rizzo S, Whipple S, et al. Evaluating eligibility criteria of oncology trials using real-world data and AI. Nature 2021;592(7855):629-33.

10. Courvoisier DS, Buitrago-Garcia D, Buclin CP, Bürgisser N, Iudici M, Mongin D. Beyond human gold standards: A multimodel framework for automated abstract classification and information extraction. Res Synth Methods 2026;17(2):365-77.

11. Arora A, Arora A. Generative adversarial networks and synthetic patient data: current challenges and future perspectives. Future Healthc J 2022;9(2):190-3.

12. Ismail A, Al-Zoubi T, El Naqa I, Saeed H. The role of artificial intelligence in hastening time to recruitment in clinical trials. BJR Open 2023;5(1):20220023.

13. Ghim J-L, Ahn S. Transforming clinical trials: the emerging roles of large language models. Transl Clin Pharmacol 2023;31(3):131-8.

14. Rosenberger WF, Sverdlov O, Hu F. Adaptive randomization for clinical trials. J Biopharm Stat 2012;22(4):719-36.

15. Pablo R-GJ, Roberto D-P, Victor S-U, Isabel G-R, Paul C, Elizabeth O-R. Big data in the healthcare system: a synergy with artificial intelligence and blockchain technology. J Integr Bioinform 2021;19(1).

16. Liu M, Li S, Yuan H, Ong MEH, Ning Y, Xie F, Saffari SE, Shang Y, Volovici V, Chakraborty B, Liu N. Handling missing values in healthcare data: A systematic review of deep learning-based imputation techniques. Artif Intell Med. 2023 Aug; 142:102587.

17. Celik SU. Integrating artificial intelligence into scientific writing: a narrative review for clinical and surgical researchers. Am J Surg 2025;250:116657.

18. Unveiling the black box: A systematic review of Explainable Artificial Intelligence in medical image analysis. Computational and Structural Biotechnology Journal 2024;24:542-60.

Role of Artificial Intelligence in Clinical Research: Methodological Applications and Current Challenges

Department of Cardiology, Hospital Italiano de Buenos Aires. Ciudad Autónoma de Buenos Aires. Argentina.

Acta Gastroenterol Latinoam 2026;56(1):12-16

Received: 15/03/2026 / Accepted: 26/03/2026 / Published online: 31/03/2026 / https://doi.org/0.52787/agl.v56i1.619

Introduction

Artificial intelligence (AI) has experienced exponential growth in recent years, driven by the development of machine learning algorithms, increased processing capacity, and the growing availability of large clinical databases.1-2 Its use has expanded into multiple areas of everyday clinical practice.3-4

Initially associated with image analysis or the automation of diagnostic processes, AI has broadened its

scope and is now also involved in generating predictive models, risk stratification, and optimizing clinical decision. In parallel, scientific research has undergone a similar transformation: often, the magnitude and complexity of available data exceed the capabilities of traditional statistical approaches. In this context, AI emerges as a particularly useful tool for addressing this complexity. Accordingly, recent bibliometric analyses have documented a sustained increase in the number of publications and citations related to AI applied to healthcare in recent decades.1-5

AI is not limited to the analysis of large datasets, but can also support different stages of the research process, from hypothesis generation and methodological design to results analysis and even scientific writing.6

However, its incorporation is not without challenges. AI should be understood as a complementary resource that enhances scientific work, but does not replace clinical judgment or methodological rigor. Its responsible use requires understanding both its strengths and its limitations.7-8

Correspondence: Santiago Decotto

Email: santiago.decotto@hospitalitaliano.org.ar

Latinoam 2026;56(1):12-16

This brief review analyzes the main applications of

AI in the design, execution, and analysis of clinical studies, distinguishing its contribution according to the type of methodological design and highlighting the considerations that must be taken into account for its appropriate implementation in research.

AI in the Research Study Design Phase

AI can play a relevant role from the earliest stages of the research process, even before patient recruitment or data collection begins. In the design phase, these tools can help optimize hypothesis formulation, methodological planning, and protocol structuring.

First, the automated analysis of large clinical databases allows for the identification of patterns, preliminary associations, or certain trends that can lead to new research questions. Unlike traditional approaches, machine learning–based methods can explore complex or non-linear relationships between variables, facilitating the generation of new data-driven hypotheses. 9

Likewise, AI can assist in the review of the scientific literature, enabling broader and more structured searches, identifying relevant articles, detecting knowledge gaps, and synthesizing information in a preliminary way. 10 While these tools do not replace the researcher’s critical appraisal, they can improve efficiency and reduce the time required for the initial analysis of a given topic.

Methodologically, AI can also be used to perform simulations that help estimate sample sizes or predict event rates under different assumptions. These simulations are particularly useful in studies with infrequent outcomes or in heterogeneous populations, where traditional planning involves greater uncertainties. 11

Finally, in studies that use electronic health records or institutional registries, AI algorithms can assist in the operational definition of variables, the standardization of criteria, and the automated identification of potential participants who meet the predefined inclusion and exclusion criteria, potentially reducing errors resulting from manual case selection.¹²

AI in Randomized Clinical Trials

In randomized clinical trials, AI can be used at multiple stages of the study. As mentioned previously, algorithms applied to electronic health records allow for the automated identification of potentially eligible patients

based on predefined criteria, optimizing time and reducing recruitment bias.12 Predictive models can also contribute to better baseline risk stratification, promoting a more balanced allocation of participants.

In more complex designs, AI can be integrated into adaptive randomization schemes, an approach in which the probability of assignment to each arm is dynamically adjusted throughout the study based on accumulated interim results. This type of design aims to improve trial efficiency and optimize the use of information generated during its development.13, 14 Furthermore, automated tools already exist that can facilitate the monitoring of adverse events and the early detection of protocol deviations.

While these applications do not modify the fundamental principles of clinical trials, they can improve operational efficiency and the quality of data control.

AI in Observational Studies and Big Data Analysis

In observational studies, both prospective and retrospective, AI offers useful tools for analyzing large volumes of information.

In prospective cohorts, it can be used during followup to update risk estimates, incorporate new variables over time, and facilitate the automated identification of clinical events.

In retrospective studies and large database analyses, areas where AI has likely had the greatest impact, its usefulness lies in its ability to organize and analyze large volumes of already available information. In recent years, retrospective studies based on national or international databases have become increasingly common, particularly in countries with fully digitized information systems. Many of these studies are published in high-impact medical journals and provide evidence that, in some cases, is considered for the development or updating of clinical practice guidelines.

In this context, AI-based methods allow for the review of thousands of records in a short time, the identification of associations between multiple variables, and the detection of patterns that would be difficult to recognize manually. They can also help classify patients into groups with similar characteristics and extract relevant information from clinical records or reports.15 These tools expand the possibilities for analysis and can generate new research hypotheses. However, the results obtained using these methods should be interpreted with caution and validated in other populations

to avoid drawing erroneous conclusions or identifying non-reproducible associations.

AI in Statistical Analysis and Scientific Writing

In addition to its role in study design and data collection, AI can play a significant role in the statistical analysis stage, especially when working with many variables or diverse information. These methods allow for the simultaneous analysis of multiple factors and the exploration of their interrelationships, facilitating the development of prognostic models and the integration of clinical data, laboratory results, imaging, or electronic records within a single analysis.

One particularly useful application is the handling of missing data, a common issue in real-world practice. Instead of simply excluding cases or replacing values, algorithms can estimate missing information by considering the full set of available variables. This can help reduce bias and improve the robustness of the results.16

Additionally, clustering techniques allow for the identification of subgroups of patients with similar characteristics within a given cohort. This can be useful for recognizing different clinical profiles, better understanding the heterogeneity of certain diseases, and generating new research hypotheses.

However, the use of these tools requires caution. A model should not be considered valid simply because it performs well on the data used to develop it. Its performance must be evaluated in independent populations to ensure that results are consistent and applicable in other settings. It is also important to avoid overfitting to the original dataset, as this may limit its practical utility.

On the other hand, various AI-based tools applied to scientific writing can assist in organizing the manuscript, improving textual clarity, and facilitating grammatical correction or translation into other languages.17

Limitations of AI in Research

Although AI offers multiple advantages, it also presents limitations that must be considered. First, the results depend heavily on the quality of the data used. If the information is incomplete, unrepresentative, or contains errors, models may generate unreliable conclusions or findings that are difficult to apply in other contexts.

Additionally, some algorithms function as “black

boxes.” This means that although the model may generate a highly accurate prediction or recommendation, the internal process by which it reaches that conclusion is not always transparent or easily understandable, and may even be illogical. This failure to interpret the analysis process can hinder the understanding of findings, limit confidence in the results, and represent a barrier to their application in clinical practice. 18

Beyond these technical limitations, there are relevant ethical considerations. The use of large clinical databases requires ensuring the protection of privacy and data confidentiality of information, as well as compliance with current regulatory frameworks. The Central Figure illustrates the current role of AI in clinical research, integrating its main methodological applications and associated challenges.

Artificial Intelligence Tools Applied to the Clinical Research Process

In recent years, various AI-based tools have emerged that can assist researchers at different stages of the scientific process, from literature search to the visual communication of results. In the initial phase, platforms such as OpenEvidence and SciSpace enable semantic searches of the scientific literature, summarization of articles, and efficient extraction of relevant information, facilitating the identification of knowledge gaps and the formulation of new research questions.

During methodological design and study planning, language models such as ChatGPT and Claude can assist in structuring hypotheses, defining variables, and reviewing the coherence of the protocol. In the data analysis stage, these tools can also be used to support script generation in statistical environments such as R or Python, the exploration of complex datasets, and the preliminary interpretation of results.

Similarly, in scientific writing, they can help improve text clarity, organize the manuscript, and facilitate translation into other languages. Finally, for the visual communication of findings, platforms such as BioRender, Canva, Gamma, or SciSpace allow the creation of diagrams, scientific figures, and visual abstracts that enhance the dissemination of results.

Although these tools can increase the efficiency of the research process, their use should be considered complementary to the researcher’s clinical judgment and methodological rigor (Table 1).

Central Figure. Artificial Intelligence in Clinical Research

DESIGN

• Hypothesis genera on

• Literature review

• Sample simula on

AI IN CLINICAL RESEARCH

OBSERVATIONAL STUDIES

• Big data

• Pa ern detec on

• Pa ent classifica on

RANDOMIZED TRIALS

• Recruitment

• Stra fica on

• Adap ve randomiza on

ANALYSIS AND WRITING

• Complex models

• Handling missing data

• Manuscript assistance

LIMITATIONS

• Data quality • “Black box” models • Need for valida on • Ethical considera ons

Table 1. Artificial intelligence tools applied to different stages of the clinical research process

Stage of the Research Process Main Objective

Literature search and review

Study design and hypothesis formulation

Identify relevant articles, summarize evidence, and detect knowledge gaps

Define hypotheses, methodological design, and study variables

Statistical analysis and data management

Scientific manuscript writing

Analyze complex datasets and develop statistical or predictive models

Organize and improve scientific writing

Recommended AI Tools

OpenEvidence, SciSpace, Semantic Scholar, Elicit

ChatGPT, Claude, Connected Papers, ResearchRabbit

R, Python, JASP, ChatGPT, Claude

Practical Applications

Semantic search of scientific literature, extraction of key findings from articles, preliminary synthesis of evidence, and generation of new research questions.

Generation of research hypotheses, assessment of methodological coherence, comparison of study designs used in the literature, and suggestions for variables, inclusion criteria, and outcomes.

Generation and review of statistical scripts, multivariable regression analyses, exploratory data analysis, patient clustering, and handling of missing data.

ChatGPT, Claude, Grammarly, DeepL

Assistance in manuscript writing, improvement of scientific style, grammatical correction, and translation of scientific texts.

Generation of figures, graphs, and visual abstracts

Improve visual communication of results

BioRender, Canva, Gamma, SciSpace, DALL·E

Creation of study diagrams, pathophysiological schemes, scientific figures, and infographics or visual abstracts for publications and scientific presentations.

Conclusion

AI has been progressively incorporated into clinical research and offers useful tools to improve efficiency, the analysis of complex data, and scientific production. Its ability to process large volumes of information expands research possibilities across different methodological designs.

However, its true value lies in its responsible and complementary use. When integrated with scientific judgment and academic oversight, it can help strengthen the quality of evidence without replacing the fundamental principles of clinical research.

Intellectual property. The authors declare that the data, figures and tables in this article are original and were carried out at their institutions.

Funding. The authors declare that there were no external sources of funding.

Conflict of interest. The authors declare that they have no conflicts of interest in relation to this article.

Copyright © 2026 Acta Gastroenterológica latinoamericana. This is an openaccess article released under the terms of the Creative Commons Attribution (CC BY-NCSA 4.0) license, which allows non-commercial use, distribution, and reproduction, provided the original author and source are acknowledged.

Cite this article as: Decotto S y Pizarro R. Role of Artificial Intelligence in Clinical Research: Methodological Applications and Current Challenges. 2026;56(1):12-16. https://doi.org/0.52787/agl.v56i1.619

References

1. Dalky A, Altawalbih M, Alshanik F, et al. Global Research Trends, Hotspots, Impacts, and Emergence of Artificial Intelligence and Machine Learning in Health and Medicine: A 25-Year Bibliometric Analysis. Healthcare (Basel). 2025 Apr 13;13(8):892.

2. Kaul V, Enslin S, Gross SA. History of artificial intelligence in medicine. Gastrointest Endosc 2020;92(4):807-12.

3. Hunik L, Uijen AA, Kueper JK, et al. The role and utility of artificial intelligence and machine learning for diagnostic prediction in general practice. Eur J Gen Pract 2026;32(1):2620908.

4. Bain AP, Ngai D, Bernard PA. Clinical Decision Support Systems in Generalist Practice: Utilizing Clinical Decision Support Systems Tools to Improve Clinical Decisions and Patient Outcomes. Med Clin North Am 2026;110(2):191-207.

5. Lin M, Lin L, Lin L, Lin Z, Yan X. A bibliometric analysis of the advance of artificial intelligence in medicine. Front Med (Lausanne) 2025;12:1504428.

6. Sergi CM, Sesso HD. Artificial Intelligence and the future of clinical trials. Contemp Clin Trials Commun 2025;47:101545.

7. Raghupathi W, Raghupathi V. Big data in healthcare and medicine revisited design and managerial challenges in the age of artificial intelligence. Health Inf Sci Syst 2026;14(1):38.

8. The integration of artificial intelligence into clinical medicine: Trends, challenges, and future directions. Disease-a-Month 2025;71(6):101882.

9. Liu R, Rizzo S, Whipple S, et al. Evaluating eligibility criteria of oncology trials using real-world data and AI. Nature 2021;592(7855):629-33.

10. Courvoisier DS, Buitrago-Garcia D, Buclin CP, Bürgisser N, Iudici M, Mongin D. Beyond human gold standards: A multimodel framework for automated abstract classification and information extraction. Res Synth Methods 2026;17(2):365-77.

11. Arora A, Arora A. Generative adversarial networks and synthetic patient data: current challenges and future perspectives. Future Healthc J 2022;9(2):190-3.

12. Ismail A, Al-Zoubi T, El Naqa I, Saeed H. The role of artificial intelligence in hastening time to recruitment in clinical trials. BJR Open 2023;5(1):20220023.

13. Ghim J-L, Ahn S. Transforming clinical trials: the emerging roles of large language models. Transl Clin Pharmacol 2023;31(3):131-8.

14. Rosenberger WF, Sverdlov O, Hu F. Adaptive randomization for clinical trials. J Biopharm Stat 2012;22(4):719-36.

15. Pablo R-GJ, Roberto D-P, Victor S-U, Isabel G-R, Paul C, Elizabeth O-R. Big data in the healthcare system: a synergy with artificial intelligence and blockchain technology. J Integr Bioinform 2021;19(1).

16. Liu M, Li S, Yuan H, Ong MEH, Ning Y, Xie F, Saffari SE, Shang Y, Volovici V, Chakraborty B, Liu N. Handling missing values in healthcare data: A systematic review of deep learning-based imputation techniques. Artif Intell Med. 2023 Aug; 142:102587.

17. Celik SU. Integrating artificial intelligence into scientific writing: a narrative review for clinical and surgical researchers. Am J Surg 2025;250:116657.

18. Unveiling the black box: A systematic review of Explainable Artificial Intelligence in medical image analysis. Computational and Structural Biotechnology Journal 2024;24:542-60.

Redefiniendo la evaluación endoscópica

inicial

de los síntomas esofágicos: hacia un paradigma diagnóstico basado en la precisión

1Sección de Esófago y Neurogastroenterología. División de Gastroenterología y hepatología. Hospital de Clínicas “José de San Martín” Universidad de Buenos Aires. Argentina.

2Kenneth C. Griffin Esophageal Center, División de Gastroenterología y Hepatología Feinberg School of Medicine, Northwestern University, Chicago, IL, EE.UU.

Acta Gastroenterol Latinoam 2026;56(1):17-28

Recibido: 01/02/2026 / Aceptado: 06/03/2026 / Publicado online: 31/03/2026 / https://doi.org/10.52787/agl.v56i1.601

Resumen

Los síntomas esofágicos -incluyendo la disfagia, la pirosis, la regurgitación y el dolor torácico no cardiogénico- se encuentran entre las indicaciones más frecuentes de derivación a gastroenterología. A pesar de su elevada prevalencia, el establecimiento de un diagnóstico etiológico definitivo continúa siendo un desafío clínico relevante, debido a la marcada superposición de perfiles sintomáticos entre la enfermedad por reflujo gastroesofágico, la esofagitis eosinofílica, los trastornos motores esofágicos y los trastornos de la interacción intestino-cerebro. Los paradigmas diagnós-

Correspondencia: Juan Ignacio Olmos Correo electrónico: juan.ignacio.olmos@gmail.com

ticos vigentes se basan, en general, en estrategias secuenciales que con frecuencia comienzan con un tratamiento empírico con inhibidores de la bomba de protones, seguido de una endoscopía digestiva alta y, cuando esta no resulta concluyente, de estudios funcionales esofágicos basados en catéter. Este enfoque se asocia a tiempos diagnósticos prolongados, estudios incompletos por mala tolerancia, demoras en el acceso a centros especializados y un incremento sustancial de los costos sanitarios. Los avances recientes en las tecnologías endoscópicas y funcionales ofrecen la oportunidad de replantear de manera fundamental la evaluación de los síntomas esofágicos. La integración de herramientas de estratificación endoscópica de riesgo -como el Clinical Achalasia Risk Score- junto con la planimetría mediante Functional Lumen Imaging Probe y el monitoreo inalámbrico del pH, permite realizar una evaluación fisiológica integral durante la endoscopía índice, bajo sedación, optimizando el rendimiento diagnóstico del procedimiento. Esta estrategia tiene el potencial de reducir significativamente la incertidumbre diagnóstica, acortar el tiempo hasta el diagnóstico definitivo y disminuir la dependencia de estudios con catéter mal tolerados. En esta revisión se sintetiza la evidencia emergente que respalda un paradigma diagnóstico centrado en la endoscopía índice como evento diagnóstico central e integrador. Se analizan las limitaciones de los métodos diagnósticos tradicionales, se revisan los

Redefiniendo la evaluación endoscópica inicial de los síntomas esofágicos Juan I. Olmos y col.

principios fisiológicos y la utilidad clínica de la planimetría mediante Functional Lumen Imaging Probe y el monitoreo inalámbrico de reflujo. Se propone un algoritmo práctico que integra esas herramientas, con el objetivo de brindar una atención de precisión y eficiente, orientada a mejorar el rendimiento diagnóstico y la toma de decisiones terapéuticas en los pacientes con síntomas esofágicos. Dado que la evidencia disponible es emergente y se concentra en centros con experiencia, el algoritmo propuesto debe interpretarse como un marco pragmático para optimizar la secuencia diagnóstica, sujeto a validación prospectiva y adaptación al contexto local.

Palabras claves. Endoscopía índice, planimetría FLIP, trastornos motores esofágicos, monitoreo inalámbrico del pH, Clinical Achalasia Risk Score, enfermedad por reflujo gastroesofágico, esofagitis eosinofílica, unión esofagogástrica, manometría de alta resolución, disfagia.

Redefining the Initial Endoscopy Evaluation of Esophageal Symptoms: Toward a Precision-Based Diagnostic Paradigm

Summary

Esophageal symptoms -including dysphagia, heartburn, regurgitation, and non-cardiogenic chest pain- are among the most common indications for referral to gastroenterology. Despite their high prevalence, establishing a definitive etiological diagnosis remains a significant clinical challenge due to the marked overlap in symptom profiles between gastroesophageal reflux disease, eosinophilic esophagitis, esophageal motility disorders, and disorders of gut–brain interaction. Current diagnostic paradigms are generally based on sequential testing strategies that often begin with empirical treatment with proton pump inhibitor followed by endoscopy and, when this is inconclusive, catheter-based esophageal functional studies. This approach is associated with prolonged diagnostic times, incomplete studies due to poor tolerance, delays in access to specialized centers, and substantial increase in healthcare costs. Recent advances in endoscopic and physiologic technologies offer the opportunity to fundamentally reframe the evaluation of esophageal symptoms. The integration of endoscopic risk stratification tools, such as the Clinical Achalasia Risk Score, Functional Lumen Imaging Probe panometry, and wireless pH monitoring, enables a comprehensive physiologic

evaluation during the index endoscopy under sedation, optimizing the diagnostic performance of the procedure. This strategy has the potential to significantly reduce diagnostic uncertainty, shorten the time to definitive diagnosis, and decrease reliance on poorly tolerated catheter studies. This review synthesizes the emerging evidence supporting a diagnostic paradigm centered on index endoscopy as a central and integrative diagnostic event. The limitations of traditional diagnostic methods are analyzed and the physiological principles and clinical utility of planimetry using Functional Lumen Imaging Probe and wireless reflux monitoring are reviewed. A practical algorithm integrating these tools is proposed, with the aim of providing accurate and efficient care, aimed at improving diagnostic performance and therapeutic decision-making in patients with esophageal symptoms. Given that the available evidence is still emerging and concentrated in centers with experience, the proposed algorithm should be interpreted as a pragmatic framework for optimizing the diagnostic sequence, subject to prospective validation and adaptation to the local context.

Keywords. Index endoscopy, FLIP planimetry, esophageal motility disorders, wireless pH monitoring, Clinical Achalasia Risk Score, gastroesophageal reflux disease, eosinophilic esophagitis, esophagogastric junction, high-resolution manometry, dysphagia.

Abreviaturas

ERGE: Enfermedad por reflujo gastroesofágico.

EoE: Esofagitis eosinofílica.

IBP: Inhibidores de la bomba de protones.

CARS: Clinical Achalasia Risk Score.

FLIP: Functional Lumen Imaging Probe.

pH: Potencial de hidrógeno.

MAR: Manometría de alta resolución.

UEG: Unión esofagogástrica.

EREFS: Edema, Rings (anillos), Exudates (exudados), Furrows (surcos), Strictures (estenosis).

PIR: Presión integrada de relajación.

DI-UEG: Índice de distensibilidad de la unión esofagogástrica.

CRA: Contracciones repetitivas anterógradas.

AET: Acid Exposure Time (tiempo de exposición ácida).

Redefiniendo la evaluación endoscópica inicial de los síntomas esofágicos

Introducción

Los síntomas esofágicos, como pirosis, disfagia, regurgitación, dolor torácico e impactación alimentaria, representan una proporción sustancial de las consultas ambulatorias en gastroenterología. Si bien se trata de manifestaciones clínicas frecuentes, las etiologías subyacentes son heterogéneas y, en muchos casos, difíciles de diferenciar basándose únicamente en la historia clínica. La enfermedad por reflujo gastroesofágico (ERGE), la esofagitis eosinofílica (EoE), los trastornos motores esofágicos y los trastornos funcionales del esófago suelen presentarse con perfiles sintomáticos superpuestos. Esto conduce a la ambigüedad diagnóstica y la incertidumbre terapéutica.1

Históricamente, la evaluación de los síntomas esofágicos se ha apoyado en ensayos terapéuticos empíricos, en particular con inhibidores de la bomba de protones (IBP), seguidos de la realización de una endoscopía digestiva alta y, cuando resulta necesario, pruebas funcionales esofágicas. Si bien este modelo se encuentra firmemente incorporado en la práctica clínica habitual, en la actualidad se reconoce de manera creciente que dicho enfoque puede resultar ineficiente desde el punto de vista diagnóstico y poco efectivo para establecer la etiología subyacente de los síntomas en un número significativo de casos. El tratamiento empírico se asocia a un efecto placebo significativo, retrasos en el diagnóstico definitivo y una prolongación innecesaria del malestar del paciente, especialmente en aquellos con trastornos motores esofágicos o trastornos de la interacción intestino-cerebro.2, 3

La endoscopía continúa siendo la piedra angular en la evaluación esofágica debido a su capacidad para excluir malignidad, identificar la enfermedad mucosa y detectar una obstrucción mecánica. Sin embargo, hasta el 50 - 70% de los pacientes sometidos a una endoscopía digestiva alta por síntomas esofágicos no presentan anormalidades evidentes, lo que deja a los clínicos con escasa claridad diagnóstica y a los pacientes con síntomas persistentes.3 En estos casos son necesarias las pruebas funcionales esofágicas -manometría de alta resolución (MAR), monitoreo ambulatorio del reflujo y esofagograma baritado- para establecer un diagnóstico. Lamentablemente, estos estudios suelen realizarse semanas o meses más tarde, requieren derivación a centros especializados y están limitadas por una tolerancia subóptima y una proporción no despreciable de estudios incompletos.2, 3

Actualmente los avances en la evaluación fisiológica endoscópica permiten ir más allá del rol puramente excluyente de patología orgánica de la endoscopía. Durante la endoscopía bajo sedación pueden utilizarse herramien-

tas como la planimetría FLIP y el monitoreo inalámbrico del pH (colocación de la capsula), proporcionando una evaluación en tiempo real de la motilidad esofágica, la dinámica de apertura de la unión esofagogástrica (UEG) y la carga de reflujo. Cuando se combinan con sistemas estructurados de estratificación endoscópica de riesgo, como el Clinical Achalasia Risk Score (CARS),4, 5 estas tecnologías permiten un enfoque diagnóstico de precisión integrado durante la endoscopía índice.

En este contexto, la presente revisión propone un cambio de paradigma en la evaluación de los síntomas esofágicos, posicionando a la endoscopía índice como un evento diagnóstico central e integrador más que como una prueba preliminar de cribado. La integración de la evaluación endoscópica, los estudios fisiológicos y el monitoreo objetivo del reflujo en un mismo estudio, permite reducir las demoras diagnósticas, mejorar la experiencia del paciente y optimizar la toma de decisiones diagnósticas y terapéuticas. Cabe destacar que esta estrategia se apoya en evidencia reciente pero todavía en expansión, por lo que su implementación requiere considerar la disponibilidad tecnológica, el entrenamiento del equipo y los escenarios clínicos específicos.

Limitaciones del paradigma diagnóstico actual

Prolongación de los tiempos diagnósticos

El enfoque diagnóstico tradicional para la evaluación de los síntomas esofágicos es inherentemente secuencial y prolongada. Los pacientes con pirosis o dolor torácico suelen recibir tratamiento empírico con IBP durante 48 semanas antes de considerar una evaluación adicional. Cuando los síntomas persisten, se realiza una endoscopía digestiva alta y, con frecuencia, se indican estudios de monitoreo de reflujo ambulatorio o manometría si los hallazgos endoscópicos no son concluyentes. Este enfoque escalonado suele dar lugar a tiempos diagnósticos que se extienden de tres a seis meses, y en algunos casos superan el año.2

La disfagia constituye un escenario particularmente ilustrativo de estas limitaciones. Si bien la endoscopía se prioriza de manera apropiada por su rol en la exclusión de patología maligna, un examen endoscópico normal suele dar lugar a la necesidad de evaluaciones adicionales. La acalasia y otros trastornos motores esofágicos son especialmente susceptibles a retrasos diagnósticos, dado que las etapas iniciales de la enfermedad pueden cursar con hallazgos endoscópicos normales o con estudios por imágenes equívocos. Diversos trabajos han demostrado que los pacientes con acalasia experimentan con frecuencia

Juan I. Olmos y col.

Redefiniendo la evaluación endoscópica inicial de los síntomas esofágicos

demoras diagnósticas superiores a los 12 meses, período durante el cual los síntomas suelen atribuirse erróneamente a ERGE o a trastornos funcionales.3

Dependencia excesiva del tratamiento empírico

El tratamiento empírico con inhibidores de la bomba de protones (IBP) continúa siendo una estrategia inicial ampliamente utilizada en pacientes con síntomas esofágicos, en particular pirosis y dolor torácico. Si bien este enfoque puede ser apropiado en poblaciones seleccionadas, su aplicación indiscriminada plantea limitaciones relevantes desde el punto de vista diagnóstico. La respuesta clínica a los IBP no permite discriminar de manera confiable entre la enfermedad por reflujo gastroesofágico, la hipersensibilidad al reflujo y la pirosis funcional. La mejoría sintomática observada puede reflejar un efecto placebo más que una modificación de la enfermedad.6 Por el contrario, los pacientes con trastornos motores o EoE pueden experimentar retrasos diagnósticos debido a una respuesta transitoria o ausente a la supresión ácida.

Fragmentación

de los estudios y barreras de acceso

Las pruebas funcionales esofágicas son esenciales para el diagnóstico de los trastornos motores y la caracterización de la ERGE pero el acceso a estas pruebas es limitado. La manometría de alta resolución y el monitoreo de pH-impedancia requieren equipamiento específico y personal con entrenamiento especializado, recursos que con frecuencia se concentran en centros terciarios. Como consecuencia, los tiempos de espera para la realización de estos estudios suelen extenderse por varios meses, en particular en ámbitos no académicos o comunitarios. Además, hasta el 20% de los estudios resultan incompletos o fallidos debido a intolerancia, dificultades técnicas o ansiedad del paciente durante la realización de los mismos.2, 3

Experiencia del paciente y tolerancia a los estudios

Los métodos diagnósticos basados en catéter constituyen una barrera importante para una evaluación eficaz. La manometría transnasal y el monitoreo de pH-impedancia se asocian con molestias, náuseas, dolor nasal y ansiedad procedimental. En un estudio prospectivo que evaluó la experiencia del paciente con pruebas diagnósticas esofágicas, la MAR fue el único estudio significativamente asociado con una experiencia traumática (χ² = 8,92; p = 0,003).7 Estos factores contribuyen al rechazo de estudios, pruebas incompletas y retrasos diagnósticos.

Juan I. Olmos y col.

Justificación para optimizar la endoscopía índice

Dadas las limitaciones del paradigma actual, existe una sólida justificación para renovar la conceptualización del rol de la endoscopía índice en la evaluación de los síntomas esofágicos. La endoscopía ya es un punto final inevitable para la mayoría de los pacientes debido a síntomas de alarma, enfermedad refractaria o incertidumbre diagnóstica.1 Aprovechar esta endoscopía índice para realizar una evaluación fisiológica bajo sedación ofrece múltiples ventajas.

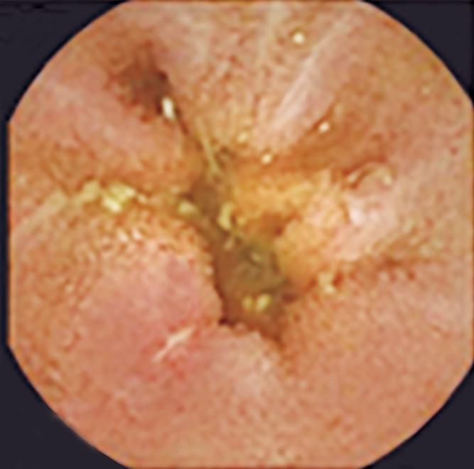
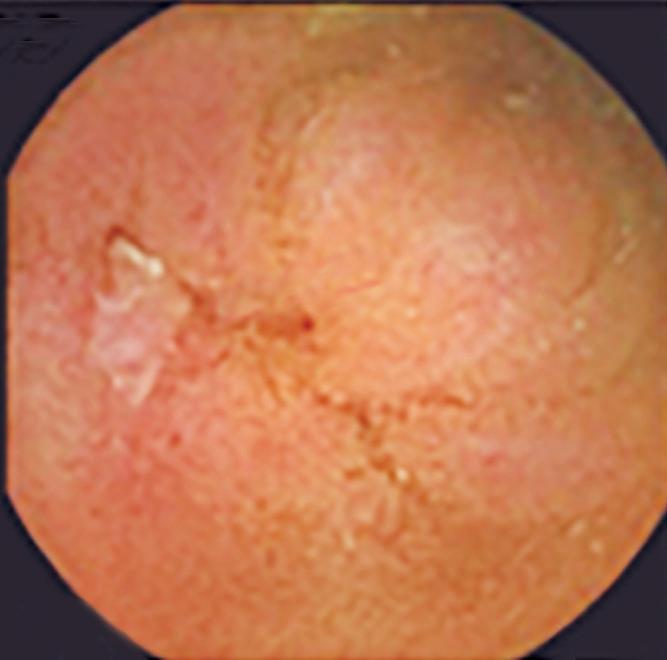
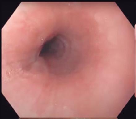
En primer lugar, la endoscopía proporciona información anatómica y mucosa crítica que contextualiza los hallazgos fisiológicos. La graduación de la esofagitis mediante la clasificación de Los Ángeles, la evaluación de EoE con biopsias sistemáticas y puntuación EREFS, la valoración de la válvula gastroesofágica y de la hernia hiatal, así como la identificación de signos endoscópicos sugestivos de acalasia, aportan elementos fundamentales para la interpretación integrada de los datos fisiológicos posteriores.8

En segundo lugar, la introducción de herramientas estructuradas de estratificación endoscópica de riesgo, como el Clinical Achalasia Risk Score (CARS), permite estimar la probabilidad de acalasia basándose en hallazgos endoscópicos reproducibles. El CARS incorpora la evaluación del contenido esofágico, la anatomía luminal, la resistencia a nivel de la UEG y los cambios mucosos relacionados con estasis, demostrando un excelente valor predictivo para acalasia cuando los puntajes superan los umbrales predefinidos.4, 5

En tercer lugar, la planimetría mediante la tecnología Functional Lumen Imaging Probe (FLIP) permite una evaluación directa de la dinámica de apertura de la UEG y de la respuesta contráctil esofágica durante la endoscopía bajo sedación. A diferencia de la MAR, que evalúa la peristalsis inducida por la deglución, la tecnología FLIP evalúa la peristalsis secundaria inducida por distensión, además de la rigidez de la pared esofágica, proporcionando información fisiológica complementaria particularmente valiosa en pacientes con hallazgos manométricos equívocos o limítrofes.9-12

Por último, la cápsula para el monitoreo inalámbrico del pH puede colocarse durante el mismo procedimiento, permitiendo una evaluación objetiva de la exposición ácida durante 48 - 96 horas sin la incomodidad de los catéteres transnasales. Este enfoque se alinea con las guías contemporáneas de ERGE y facilita una fenotipificación precisa de la ERGE en etapas tempranas del proceso diagnóstico.13, 14

En conjunto, estos avances respaldan la transición

Redefiniendo la evaluación endoscópica inicial de los síntomas esofágicos Juan I. Olmos y col.

hacia una estrategia diagnóstica integral y de precisión, basada en la endoscopía índice como evento diagnóstico central e integrador dentro del abordaje de los síntomas esofágicos.

Hay que considerar, sin embargo, que en Latinoamérica la disponibilidad de planimetría FLIP y de monitoreo inalámbrico prolongado del pH es heterogénea. En este contexto, el enfoque centrado en la endoscopía índice podría implementarse de manera escalonada, priorizando su uso en pacientes con mayor probabilidad pretest de trastornos motores u optimizando la derivación dirigida a centros de referencia.

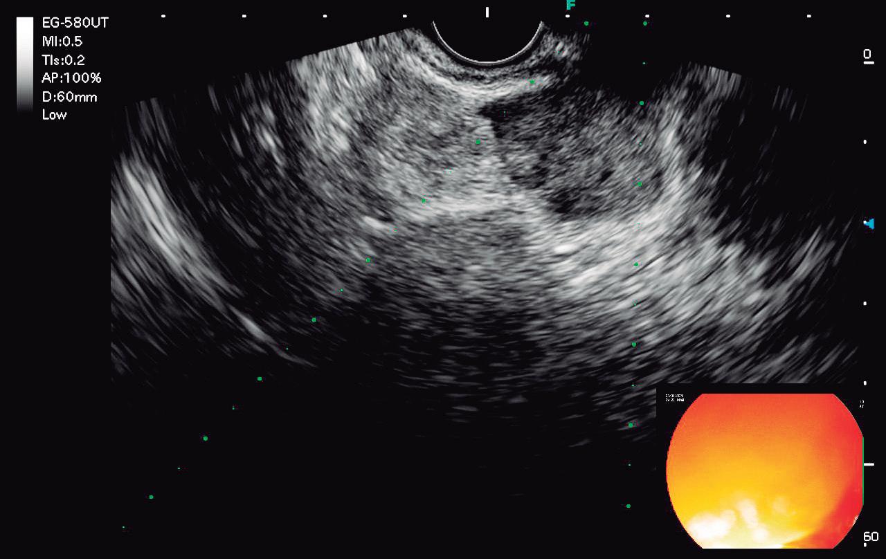
Evaluación motora endoscópica mediante planimetría FLIP

Bases fisiológicas de la planimetría FLIP

La functional lumen imaging probe (FLIP) fue desarrollada para evaluar las propiedades mecánicas y neuromusculares del esófago mediante planimetría por impedancia durante la distensión volumétrica controlada. A diferencia de la manometría de alta resolución (MAR), que evalúa los patrones de presión generados por la peristalsis primaria inducida por la deglución, la planimetría FLIP evalúa la respuesta esofágica a la distensión sostenida, evaluando así la peristalsis secundaria y la rigidez de la pared esofágica.

Durante la planimetría FLIP, un catéter con balón complaciente que contiene múltiples electrodos de impedancia y un transductor de presión se posiciona atravesando la unión esofagogástrica (UEG). La distensión escalonada o sostenida del balón (habitualmente 4070 mL) genera una deformación luminal que permite la medición simultánea del área transversal y la presión intrabalón a lo largo del eje esofágico. Los datos se representan como mapas espaciotemporales de diámetro, proporcionando una visualización en tiempo real de la apertura de la UEG y de la actividad contráctil del cuerpo esofágico.12

Este enfoque ofrece varias ventajas fisiológicas. La distensión luminal activa reflejos entéricos intrínsecos, independientes de los mecanismos centrales de la deglución, lo que permite evaluar la integridad neuromiogénica incluso en pacientes incapaces de generar degluciones confiables. Además, las contracciones inducidas por distensión siguen el gradiente de latencia intrínseco del esófago, evidenciando alteraciones clínicamente relevantes en la coordinación, propagación y vigor contráctil que pueden no ser evidentes en la MAR.9-11

Evaluación de la dinámica de apertura de la unión esofagogástrica

Una fortaleza clave de la planimetría FLIP es su capacidad para cuantificar la dinámica de apertura de la UEG. Las métricas manométricas tradicionales, como la presión integrada de relajación (IRP), infieren la relajación de la UEG basándose en la presión intraluminal durante la deglución. En contraste, la FLIP mide directamente la apertura mecánica de la UEG bajo distensión, integrando de forma simultánea los efectos del tono del esfínter esofágico inferior, la función del diafragma crural y la complacencia de la pared esofágica.

La apertura de la UEG se evalúa mediante dos parámetros principales: el índice de distensibilidad de la UEG (DI-UEG), calculado como el área transversal mínima dividida por la presión intrabalón, y el diámetro máximo de la UEG alcanzado durante la distensión. Estas métricas han sido validadas frente al esofagograma baritado cronometrado y en relación con resultados clínicos, demostrando asociaciones sólidas con la obstrucción clínicamente relevante.9, 11

Según los umbrales establecidos, la apertura de la UEG puede categorizarse como normal, limítrofe o reducida. La apertura normal se define por un DI-UEG ≥ 2,0 mm²/mmHg con un diámetro máximo ≥ 16 mm, mientras que la apertura reducida se define por un DIUEG < 2,0 mm²/mmHg con un diámetro máximo < 12 mm. La apertura limítrofe incluye valores intermedios que no cumplen criterios para ninguna de las dos categorías.12

Es fundamental interpretar la apertura de la UEG en el contexto de la respuesta contráctil esofágica. Una UEG mecánicamente adecuada puede, no obstante, generar obstrucción funcional del tránsito del bolo en pacientes con peristalsis ausente o gravemente deteriorada, lo que subraya la necesidad de una interpretación integrada y contextualizada, en lugar de basarse en métricas aisladas.

Patrones de respuesta contráctil en la planimetría FLIP

La planimetría FLIP permite clasificar la respuesta contráctil del esófago a la distensión en patrones reproducibles que se correlacionan con fenotipos motores clínicamente relevantes. La respuesta contráctil normal se define por la presencia de contracciones repetitivas anterógradas (CRA), que cumplen la “regla de los 6”: al menos seis contracciones anterógradas consecutivas que se extienden ≥ 6 cm en longitud axial, a una frecuencia de 6 ± 3 contracciones por minuto.10, 12

Redefiniendo la evaluación endoscópica inicial de los síntomas esofágicos

La respuesta contráctil limítrofe se caracteriza por contracciones anterógradas distinguibles que no cumplen completamente los criterios de CRA, mientras que la respuesta deteriorada o desorganizada refleja una actividad contráctil ausente o irregular sin propagación organizada. La respuesta contráctil ausente denota la falta completa de contracción del cuerpo esofágico durante la distensión.

Una categoría distintiva, denominada respuesta contráctil espástica-reactiva, incluye contracciones oclusivas sostenidas, contracción sostenida del esfínter esofágico inferior o contracciones repetitivas retrógradas. Este patrón se asocia fuertemente con trastornos motores espásticos, incluyendo la acalasia tipo III, el espasmo esofágico distal y el esófago hipercontráctil (Jackhammer).12

Estos fenotipos basados en FLIP muestran una concordancia sustancial con los diagnósticos de la Clasificación de Chicago v4.0, al tiempo que proporcionan información complementaria, particularmente en casos con hallazgos manométricos equívocos o estudios manométricos incompletos.

Integración de la planimetría FLIP con la estratificación endoscópica de riesgo

Rol del Clinical Achalasia Risk Score (CARS)

Si bien la planimetría FLIP proporciona datos fisiológicos robustos, su poder diagnóstico se ve potenciado cuando se interpreta junto con una estratificación endoscópica del riesgo estructurada. El Clinical Achalasia Risk Score (CARS) fue desarrollado para abordar el retraso diagnóstico persistente asociado a la acalasia, mediante la cuantificación de características endoscópicas vinculadas a la obstrucción del flujo esofágico.9

El CARS incorpora cuatro dominios: contenido esofágico, anatomía luminal, resistencia a nivel de la UEG y cambios mucosos relacionados con estasis. Los puntajes varían de 0 a 8 y los valores más altos indican una mayor probabilidad de acalasia. Los estudios de validación han demostrado que un puntaje CARS > 4 confiere una probabilidad superior al 95% de acalasia, mientras que puntajes de 0 – 1 se asocian con una probabilidad muy baja de la enfermedad.4

Diagnóstico basado en probabilidad mediante CARS y FLIP

La integración del CARS con la planimetría FLIP permite un marco diagnóstico basado en probabilidades que trasciende la clasificación binaria. Los pacientes con puntajes CARS elevados y apertura reducida de la UEG

Juan I. Olmos y col.

en la FLIP presentan una probabilidad extremadamente alta de acalasia y pueden avanzar directamente hacia un tratamiento definitivo sin necesidad de manometría confirmatoria. Este enfoque es particularmente relevante para aquellos pacientes con patrones clásicos de obstrucción no espástica, donde la certeza diagnóstica es elevada. Sin embargo, hay que considerar que esta conducta debería reservarse para los escenarios con probabilidad pretest muy alta, concordancia clínico-endoscópica-fisiológica y disponibilidad de un equipo con experiencia, dado que la manometría de alta resolución continúa siendo el estándar de referencia para la clasificación motora formal y para la definición terapéutica en los fenotipos intermedios o discordantes.

Por el contrario, los pacientes con puntajes CARS bajos y apertura normal de la UEG con respuesta contráctil preservada o limítrofe tienen escasa probabilidad de presentar un trastorno motor mayor. En estos casos, la evaluación debería orientarse hacia la ERGE o los trastornos de la interacción intestino–cerebro, en lugar de realizar estudios adicionales de motilidad.

Los escenarios intermedios -como la apertura limítrofe de la UEG, los patrones contráctiles espásticos-reactivos o los puntajes CARS moderados- identifican a los pacientes que más se benefician de la MAR o del esofagograma baritado cronometrado. Cabe destacar que los estudios sugieren que solo el 30 al 50% de los pacientes en este grupo intermedio cumplen finalmente criterios para un trastorno motor mayor, lo que resalta el valor de una indicación dirigida de estos estudios, en lugar de su uso rutinario.5

En el paradigma propuesto, centrado en la endoscopía índice con planimetría FLIP, el esofagograma debe reservarse para los casos equívocos de sospecha de obstrucción, en particular cuando persiste la incertidumbre diagnóstica tras la FLIP o cuando existe discordancia entre la FLIP y la manometría de alta resolución. En pacientes con acalasia manifiesta y puntajes CARS elevados, la evaluación radiológica rara vez modifica la conducta. No obstante, el tránsito esofágico baritado -particularmente cuando se realiza con el protocolo cronometrado y tableta- continúa teniendo utilidad clínica en la evaluación del tránsito del bolo, la repercusión funcional de la obstrucción y la correlación con la sintomatología, especialmente en aquellos escenarios de disfagia intermitente o cuando se requiere una apreciación dinámica complementaria.

En conjunto, este enfoque integrado permitiría reducir de manera sustancial la necesidad de estudios con catéter, preservando al mismo tiempo una elevada precisión diagnóstica.

Redefiniendo la evaluación endoscópica inicial de los síntomas esofágicos Juan I. Olmos y col.

Monitoreo inalámbrico del pH durante la endoscopía índice

Fundamentación y consideraciones técnicas

El monitoreo inalámbrico del pH fue desarrollado con el objetivo de superar las limitaciones de tolerancia asociadas a los estudios de reflujo con catéter transnasal. La cápsula se fija endoscópicamente al esófago distal, habitualmente a 6 cm por encima de la unión escamocolumnar, y permite registrar la exposición ácida esofágica durante 48 a 96 horas. Este período prolongado de monitoreo mejora el rendimiento diagnóstico al capturar la variabilidad diaria de los patrones de reflujo. 14

Un aspecto particularmente relevante es que el monitoreo inalámbrico del pH puede realizarse durante la misma endoscopía en la que se efectúa la planimetría FLIP, evitando la necesidad de procedimientos adicionales. Esta característica resulta especialmente ventajosa en los pacientes evaluados sin inhibidores de la bomba de protones, como recomiendan las guías contemporáneas cuando el diagnóstico de ERGE es incierto.6

Rol en la fenotipificación de la ERGE y los trastornos funcionales

La evaluación objetiva del reflujo es fundamental para diferenciar la ERGE patológica de la hipersensibilidad al reflujo y la pirosis funcional. La respuesta sintomática a los IBP, por sí sola, no resulta suficiente para establecer un diagnóstico etiológico, dado que el efecto placebo y los mecanismos no ácidos contribuyen de manera significativa a la percepción de los síntomas.

El monitoreo inalámbrico del pH permite una cuantificación precisa del tiempo de exposición ácida (acid exposure time, AET) y facilita la correlación con los eventos sintomáticos reportados por el paciente. De acuerdo con el Consenso de Lyon 2.0, un AET patológico (> 6%) es una evidencia concluyente de ERGE, mientras que un AET normal (< 4%) permite excluir de manera confiable la enfermedad mediada por ácido.14 Los valores intermedios requieren una interpretación contextual, apoyada en métricas adicionales o en la correlación clínica.

Cuando se integra con la planimetría FLIP y la evaluación endoscópica, el monitoreo inalámbrico del pH permite una fenotipificación integral de los pacientes con síntomas esofágicos. Aquellos con apertura normal de la unión esofagogástrica, motilidad conservada y exposición ácida normal se clasifican con mayor precisión dentro del espectro de los trastornos de la interacción intestino-cerebro, lo que orienta el manejo hacia neuromoduladores,

terapia conductual y estrategias de reaseguro, en lugar de intensificar la supresión ácida.

En este contexto, un estudio reciente realizado en Latinoamérica demostró que el monitoreo inalámbrico prolongado del pH permite reclasificar más del 70% de los pacientes con AET limítrofe en estudios de pH-impedancia de 24 horas, superando la “zona gris” diagnóstica asociada a los métodos con catéter, que continúan siendo los más utilizados en la región por limitaciones de acceso y costo.17

Impacto clínico de una estrategia integrada centrada en la endoscopía índice

Al incorporar la planimetría FLIP, la puntuación CARS y el monitoreo inalámbrico del pH en la endoscopía índice, los clínicos pueden establecer un diagnóstico definitivo en la mayoría de los pacientes que, de otro modo, tendrían una evaluación inconclusa. En los pacientes restantes, los datos fisiológicos obtenidos durante la endoscopía permiten una selección dirigida de pruebas confirmatorias. En series recientes de centros con experiencia se ha observado que permitieron reducir la indicación de manometría en una proporción sustancial de pacientes y acortar el tiempo diagnóstico, aunque la magnitud de estos beneficios puede variar según el circuito asistencial local. (Figura 1). Si bien los datos disponibles sugieren beneficios clínicos y de eficiencia, la magnitud del impacto puede variar según el acceso local a FLIP, al monitoreo inalámbrico de pH y la experiencia en la interpretación fisiológica.

Esta estrategia se alinea con datos emergentes de costo-efectividad que demuestran que la evaluación fisiológica temprana es clínicamente superior y económicamente ventajosa en comparación con el tratamiento empírico y los diagnósticos diferidos.15, 16 Además, la realización de estas evaluaciones bajo sedación mejora notablemente la experiencia del paciente y las tasas de finalización de los estudios.

Algoritmo diagnóstico pragmático centrado en la endoscopía índice

La Figura 2 presenta un algoritmo diagnóstico propuesto que reposiciona la endoscopía índice como el evento diagnóstico central para los pacientes que consultan por síntomas esofágicos. Este enfoque parte del reconocimiento de que la endoscopía digestiva alta resulta inevitable en la mayoría de los casos, ya sea por la presencia de síntomas de alarma, refractariedad al tratamiento empírico o persistente incertidumbre diagnóstica, y se aprovecha esta instancia para incorporar una evaluación fisiológica integral.

Redefiniendo la evaluación endoscópica inicial de los síntomas esofágicos Juan I. Olmos y col.

Figura 1. Algoritmo diagnóstico centrado en la endoscopía índice

NUEVO - Algoritmo diagnós co para síntomas esofágicos

Paciente con síntomas esofágicos

Disfagia, pirosis, regurgitación

Dolor de pecho - descartar causas cardíacas

Espasmo/ Posible obstrucción

Visualización endoscópica

• VEDA aplicando score dé CARS

• Biopsi a

• Disfagia

• Dolor de pecho al comer

Anormalidad iden ficada

FLIP Planimetria 2.0

Detener y tratar según hallazgo 30 minutos

Acalasia

Tratar según hallazgo

Manometría usando CC 4.0 1-2 meses

Trastorno esofágico de interacción cerebro-intes no

Prueba de pH inalámbrica, usando Lyon 2.0

96 horas Sí Anormalidad iden ficada

El algoritmo diagnóstico propuesto integra la evaluación endoscópica estructurada, el Clinical Achalasia Risk Score (CARS), la planimetría FLIP y el monitoreo inalámbrico del pH durante la endoscopía índice. Este enfoque permite una fenotipificación rápida de los trastornos esofágicos, reduce la dependencia de estudios con catéter y acorta el tiempo hasta el diagnóstico.

Figura

2. Aplicación clínica combinada del CARS y planimetría FLIP

Nuevo algoritmo de manejo

Paciente con síntomas esofágicos Disfagia, regurgitación, dolor torácico – descartar causas cardíacas

Esofagi s > LA B, esófago de Barre de segmento largo, hernia > 5 cm, estenosis, EoE evidente – EREF > 1, otras esofagi s

Tratar en consecuencia

Bravo posi vo biopsias nega vas DX: ERGE tratamiento an rreflujo

Bravo nega vo biopsias nega vas DX: trastornos de la interacción intes no cerebro TIIIC

Bravo nega vo biopsias posi vas DX: EoE esofagi s eosino lica

Endoscopía diges va alta (EDA) sin IBP Normal Bravo

Bravo posi vo biopsias nega vas DX: ERGE tratamiento an rreflujo

Bravo nega vo biopsias nega vas DX: IEM (mo lidad esofágica inefec va) Cambios en es lo de vida / dieta / Promo lidad / an rreflujo

Bravo

Puntaje CARS / Planimetría FLIP

Biopsias para disfagia y dolor torácico con la ingesta

Posible obstrucción

Dilatación dirigida usando MaxD y DP

Disrupción

DX: estenosis o EoE tratamiento an rreflujo

Sin respuesta biopsias nega vas Sin respuesta biopsias posi vas DX: EoE

HRM

(manometría de alta resolución)

Probabilidad de MMD según CARS y patrón contrác l

Posible espasmo / hipercontrác l (JH)

Raro

HRM

Probabilidad de trastorno motor mayor (MMD): CARS ≤ 2 - < 50% CARS > 2 - > 75%

Obstrucción espás ca

DX: Acalasia po II /III / EGJOO

HRM

Sub po de acalasia tratamiento personalizado

Obstrucción no espás ca

Si CARS > 4

DX: Acalasia po I / II

Tx: POEM / Dilatacion neumátca / Miotomia de Heller

Si CARS ≤ 4

DX: Acalasia / EGJOO o PDMO

HRM

Sub po de acalasia tratamiento personalizado

PDMO considerar Botox

Integración del puntaje endoscópico CARS con los hallazgos de la planimetría FLIP para estimar la probabilidad de acalasia y orientar la conducta clínica posterior. Los puntajes CARS elevados combinados con una apertura reducida de la unión esofagogástrica (UEG) y una respuesta contráctil deteriorada se asocian con una alta probabilidad de acalasia. Los fenotipos intermedios identifican a los pacientes que requieren estudios confirmatorios. Este algoritmo proporciona un marco para avanzar de manera ágil en el proceso de manejo clínico, optimizando el uso de la manometría en pacientes sin diagnósticos concluyentes.

Los pacientes que presentan disfagia, regurgitación, dolor torácico relacionado con la ingesta o pirosis refractaria se someten a una endoscopía digestiva alta de alta calidad, idealmente sin IBP cuando resulta factible. La evaluación endoscópica incluye la valoración sistemática de enfermedad mucosa (clasificación de Los Ángeles y puntuación EREFS), la exclusión de obstrucción mecánica, la identificación de anomalías anatómicas -como hernia hiatal mediante la clasificación de Hill- y la evaluación de hallazgos sugestivos de acalasia mediante el Clinical Achalasia Risk Score (CARS).

Cuando se identifica una etiología evidente -como esofagitis grado B o superior según la clasificación de Los Ángeles, esofagitis eosinofílica con confirmación histológica, estenosis fija, malignidad o hernia hiatal de gran tamaño- el manejo continúa de acuerdo con el diagnóstico establecido, sin necesidad de pruebas fisiológicas adicionales. Sin embargo, en ausencia de una etiología clara, se realiza una planimetría FLIP durante la misma sesión endoscópica.

La planimetría FLIP estratifica a los pacientes según la dinámica de apertura de la UEG y la respuesta con-

Hipocontrác l

Redefiniendo la evaluación endoscópica inicial de los síntomas esofágicos

tráctil. Los pacientes con apertura reducida de la UEG y respuesta contráctil deteriorada o ausente, particularmente en el contexto de un puntaje CARS elevado, presentan una alta probabilidad de presentar acalasia, y podrían avanzar directamente a un tratamiento definitivo sin necesidad de manometría confirmatoria. En contraste, los pacientes con patrones contráctiles espásticosreactivos podrían ser derivados a manometría de alta resolución para definir el subtipo y guiar una estrategia terapéutica personalizada.

Los pacientes con apertura normal de la UEG y respuesta contráctil preservada o limítrofe presentan una baja probabilidad de presentar un trastorno motor mayor. En estos casos, el monitoreo inalámbrico del pH realizado durante la endoscopía índice permite una fenotipificación precisa de la ERGE. Una exposición ácida patológica respalda el diagnóstico de ERGE y orienta el

Juan I. Olmos y col.

tratamiento con supresión ácida o intervenciones antirreflujo, mientras que una exposición ácida normal favorece el diagnóstico de un trastorno de la interacción intestinocerebro y dirige el manejo hacia la neuromodulación, intervenciones conductuales y estrategias de reaseguro.

Este algoritmo permite establecer un diagnóstico definitivo en pocos días para la mayoría de los pacientes, minimizando los retrasos diagnósticos y reduciendo la dependencia de pruebas con catéter mal toleradas.

Al consolidar las pruebas diagnósticas en una única instancia, el algoritmo propuesto reduce la redundancia procedimental, acorta el tiempo hasta el tratamiento y mejora la satisfacción del paciente. Estos beneficios son especialmente relevantes para los sistemas de salud, que enfrentan una demanda creciente, acceso limitado a pruebas subespecializadas y presión para reducir las prácticas de bajo valor clínico.

Figura 3. Aplicación clínica basada en la integración del CARS y la planimetría FLIP

Monitoreo inalámbrico de

Acalasia I / II tratamiento dirigido al LES

Esta figura destaca la interacción entre la endoscopía y la planimetría FLIP en los pacientes con síntomas esofágicos. En los paneles endoscópicos superiores, el puntaje CARS es 1, basado en una anatomía normal, ausencia de retención y una unión esofagogástrica (UGE) normal. En este contexto, si la planimetría FLIP muestra contracciones anterógradas repetitivas (RACs) y una apertura normal de la UGE (topografía FLIP superior), el diagnóstico de motilidad normal se establece con una certeza superior al 95%, y el paciente avanzaría hacia la evaluación del reflujo mediante monitoreo inalámbrico del pH utilizando el enfoque del Consenso de Lyon 2.0 si se sospecha ERGE. En contraste, con la misma presentación endoscópica (puntaje CARS de 1) y un patrón de obstrucción no espástica en la planimetría FLIP, la sospecha de acalasia sería elevada (superior al 90%) y el paciente podría ser derivado de forma prioritaria a manometría. En cuanto a la presentación de las imágenes endoscópicas inferiores, el puntaje CARS es > 4, dado que el esófago se encuentra dilatado con retención de contenido y la UEG presenta un aspecto fruncido y resistencia al pasaje del endoscopio. Considerando el patrón de obstrucción no espástica en la planimetría FLIP y los hallazgos endoscópicos evidentes, la manometría puede omitirse y el paciente debería ser tratado con una miotomía dirigida a nivel de la UEG, ya que esta presentación es altamente compatible con acalasia tipo I. La combinación de la endoscopía y la planimetría FLIP proporciona una evaluación en el punto de atención que resulta clínicamente intuitiva y eficiente.

Redefiniendo la evaluación endoscópica inicial de los síntomas esofágicos

Figura 4.

Peristalsis normal con relajación EGJ normal

Acalasia Tipo I Ausencia de contrac lidad

Acalasia Tipo II Presurización

Acalasia Tipo III Espasmo

Esófago Jackhammer

con EGJ-DI normal Ausencia de respuesta contrác l / EGJ-DI baja

Fuertes contracciones oclusivas con acortamiento

Patrones manométricos de alta resolución (arriba) y los correspondientes patrones de panometría mediante sonda de imagen luminal funcional (abajo). EGJ, unión esofagogástrica; EGJ-DI, índice de distensibilidad de la unión esofagogástrica; RACs, contracciones repetitivas anterógradas; RRC, contracción repetitiva retrógrada.

Direcciones futuras

La integración de la planimetría FLIP y la evaluación endoscópica estructurada representa solo el primer paso hacia una esofagología de precisión. Las investigaciones actuales apuntan a mejorar la caracterización fisiológica del esófago mediante la incorporación de mediciones cuantitativas del trabajo esofágico y la potencia contráctil, que reflejan cuánta energía genera el órgano para propulsar el bolo, superando así la evaluación basada únicamente en la presión o el diámetro.

La inteligencia artificial y el aprendizaje automático ofrecen vías prometedoras para mejorar la precisión diagnóstica y la reproducibilidad. La interpretación automatizada de los hallazgos endoscópicos, la puntuación CARS y los patrones de planimetría FLIP podría constituir un soporte decisional en tiempo real durante la endoscopía, reduciendo la dependencia del operador y facilitando una adopción más amplia de estos recursos diagnósticos. Trabajos iniciales que utilizan modelos matemáticos simplificados y simulaciones computacionales del esófago sugieren que la combinación de datos fisiológicos con modelado computacional podría permitir una

mayor personalización del tratamiento, especialmente en los trastornos motores complejos.

Se requieren estudios prospectivos futuros para validar los umbrales basados en resultados clínicos para la planimetría FLIP, evaluar los resultados clínicos a largo plazo de los algoritmos centrados en la endoscopía índice y definir opciones terapéuticas óptimas para fenotipos intermedios. A medida que estos datos emerjan, es probable que el rol de la endoscopía en la enfermedad esofágica evolucione de una herramienta puramente diagnóstica a una plataforma para la evaluación fisiológica integrada y la toma de decisiones terapéuticas.

Propiedad intelectual. Los autores declaran que los datos y las figuras presentes en el manuscrito son originales y se realizaron en sus instituciones pertenecientes.

Financiamiento. Los autores declaran que no hubo fuentes de financiación externas.

Juan I. Olmos y col.
RACs
Trastorno de la respuesta contrác l / EGJ DI baja RRC con EGJ DI baja

Redefiniendo la evaluación endoscópica inicial de los síntomas esofágicos Juan I. Olmos y col.

Conflictos de interés. Los autores declaran no tener conflictos de interés en relación con este artículo.

Aviso de derechos de autor © 2026 Acta Gastroenterológica Latinoamericana. Este es un artículo de acceso abierto publicado bajo los términos de la Licencia Creative Commons Attribution (CC BY-NC-SA 4.0), la cual permite el uso, la distribución y la reproducción de forma no comercial, siempre que se cite al autor y la fuente original.

Cite este artículo como: Olmos J I y Pandolfino J E. Redefiniendo la evaluación endoscópica inicial de los síntomas esofágicos: hacia un paradigma diagnóstico basado en la precisión Acta Gastroenterol Latinoam. 2026;56(1):1728. https://doi.org/10.52787/agl.v56i1.601

Referencias

1. Aziz Q, Fass R, Gyawali CP, Miwa H, Pandolfino JE, Zerbib F. Functional esophageal disorders. Gastroenterology. 2016;150(6):1368-1379. DOI: 10.1053/j.gastro.2016.02.012

2. Veldhuyzen van Zanten SJ, et al. Diagnostic delay in refractory GERD. Am J Gastroenterol. 2006;101(11):2457-2462.

3. Kessing BF, et al. Esophageal achalasia: diagnostic delay and clinical impact. Dis Esophagus. 2014;27(7):641-648.

4. Ellison A, Peller M, Nguyen AD, Carlson DA, Pandolfino JE, Triggs JR, et al. An endoscopic scoring system for achalasia: the CARS score. Gastrointest Endosc. 2024;100(3):417-428.e1.

5. Carlson DA, Li M, Fass O, Pitisuttithum P, Goudie E, Kou W, et al. A combined endoscopy and functional lumen imaging probe planimetry approach can expedite diagnosis of esophageal motility disorders. Gastrointest Endosc. 2025;102(6):811-821. e4. DOI: 10.1016/j.gie.2025.03.1329

6. Gyawali CP, et al. Evaluation of GERD symptoms beyond PPI response. Clin Gastroenterol Hepatol. 2018;16(7):984-990.

7. Taft TH, Carlson DA, Marchese SH, Triggs JR, Pandolfino JE. Initial assessment of medical post-traumatic stress among patients with chronic esophageal diseases. Neurogastroenterol Motil. 2023;35(5):e14540.

8. Lundell LR, Dent J, Bennett JR, Blum AL, Armstrong D, Galmiche JP, et al. Endoscopic assessment of oesophagitis: clinical and functional correlates. Gut. 1999;45(2):172-180.

9. Carlson DA, Gyawali CP, Khan A, Huo D, Pandolfino JE. Classifying esophageal motility by FLIP planimetry. Am J Gastroenterol. 2021;116(12):2357-2366.

10. Carlson DA, Prescott JE, Baumann AJ, Kou W, Pandolfino JE. Validation of secondary peristalsis classification using FLIP planimetry. Neurogastroenterol Motil. 2021;33(11):e14192.

11. Carlson DA, Baumann AJ, Prescott JE, Hungness ES, Pandolfino JE. Validation of clinically relevant thresholds of EGJ obstruction using FLIP planimetry. Clin Gastroenterol Hepatol. 2022;20(6):e1250-e1262.

12. Carlson DA, Baumann AJ, Prescott JE, Triggs JR, Kou W, Kahrilas PJ, et al. A standardized approach to performing and interpreting functional lumen imaging probe planimetry for esophageal motility disorders: the Dallas Consensus. Gastroenterology. 2025;168(6):1114-1127.e5. DOI: 10.1053/j.gastro. 2025.01.234

13. Pandolfino JE, et al. Wireless pH monitoring: clinical utility. Am J Gastroenterol. 2003;98(4):740-749.

14. Yadlapati R, Pandolfino JE, Fox MR, Gyawali CP, Roman S. Lyon Consensus 2.0. Gastroenterology. 2023;164(5):e1-e35.

15. Shah SC, et al. Cost-effectiveness of physiologic testing in heartburn. Gastroenterology. 2022;163(1):44-57.

16. Shah SC, et al. Cost-effectiveness of early motility testing in dysphagia. Clin Gastroenterol Hepatol. 2023;21(4):921-930.

17. Hashimoto H, et al. Prolonged wireless pH monitoring increases diagnostic yield in patients with reflux symptoms and borderline 24-hour impedance pH. Dis Esophagus. 2025;38(2):doaf030. DOI: 10.1093/dote/doaf030

Redefining the Initial Endoscopy Evaluation of Esophageal Symptoms: Toward a PrecisionBased Diagnostic Paradigm

I. Olmos 1 · John E. Pandolfino 2

1Esophageal and Neurogastroenterology Section. Division of Gastroenterology and Hepatology. Hospital de Clínicas “José de San Martín”, University of Buenos Aires. Argentina.

2Kenneth C. Griffin Esophageal Center, Division of Gastroenterology and Hepatology Feinberg School of Medicine, Northwestern University, Chicago, IL, USA.

Acta Gastroenterol Latinoam 2026;56(1):29-40

Received: 01/02/2026 / Accepted: 06/03/2026 / Published online: 31/03/2026 / https://doi.org/10.52787/agl.v56i1.601

Summary

Esophageal symptoms -including dysphagia, heartburn, regurgitation, and non-cardiogenic chest pain- are among the most common indications for referral to gastroenterology. Despite their high prevalence, establishing a definitive etiological diagnosis remains a significant clinical challenge due to the marked overlap in symptom profiles between gastroesophageal reflux disease, eosinophilic esophagitis, esophageal motility disorders, and disorders of gut–brain interaction. Current diagnostic paradigms are generally

Correspondence: Juan Ignacio Olmos

Email: juan.ignacio.olmos@gmail.com

based on sequential testing strategies that often begin with empirical treatment with proton pump inhibitor followed by endoscopy and, when this is inconclusive, catheterbased esophageal functional studies. This approach is associated with prolonged diagnostic times, incomplete studies due to poor tolerance, delays in access to specialized centers, a substantial increase in healthcare costs. Recent advances in endoscopic and physiologic technologies offer the opportunity to fundamentally reframe the evaluation of esophageal symptoms. The integration of endoscopic risk stratification tools, such as the Clinical Achalasia Risk Score , Functional Lumen Imaging Probe panometry, and wireless pH monitoring, enables a comprehensive physiologic evaluation during the index endoscopy under sedation, optimizing the diagnostic performance of the procedure. This strategy has the potential to significantly reduce diagnostic uncertainty, shorten the time to definitive diagnosis, and decrease reliance on poorly tolerated catheter studies. This review synthesizes the emerging evidence supporting a diagnostic paradigm centered on index endoscopy as a central and integrative diagnostic event. The limitations of traditional diagnostic methods are analyzed and the physiological principles and clinical utility of planimetry using Functional Lumen Imaging Probe and wireless ref-

Redefining the Initial Endoscopy Evaluation of Esophageal Symptoms: Toward a Precision-Based Diagnostic Paradigm Juan I. Olmos et al.

lux monitoring are reviewed. A practical algorithm integrating these tools is proposed, with the aim of providing accurate and efficient care, aimed at improving diagnostic performance and therapeutic decision-making in patients with esophageal symptoms. Given that the available evidence is still emerging and concentrated in centers with experience, the proposed algorithm should be interpreted as a pragmatic framework for optimizing the diagnostic sequence, subject to prospective validation and adaptation to the local context.

Keywords. Index endoscopy, FLIP planimetry, esophageal motility disorders, wireless pH monitoring, Clinical Achalasia Risk Score, gastroesophageal reflux disease, eosinophilic esophagitis, esophagogastric junction, high-resolution manometry, dysphagia.

Redefiniendo la evaluación endoscópica inicial de los síntomas esofágicos: hacia un paradigma diagnóstico basado en la precisión

Resumen

Los síntomas esofágicos -incluyendo la disfagia, la pirosis, la regurgitación y el dolor torácico no cardiogénico- se encuentran entre las indicaciones más frecuentes de derivación a gastroenterología. A pesar de su elevada prevalencia, el establecimiento de un diagnóstico etiológico definitivo continúa siendo un desafío clínico relevante, debido a la marcada superposición de perfiles sintomáticos entre la enfermedad por reflujo gastroesofágico, la esofagitis eosinofílica, los trastornos motores esofágicos y los trastornos de la interacción intestino-cerebro. Los paradigmas diagnósticos vigentes se basan, en general, en estrategias secuenciales que con frecuencia comienzan con un tratamiento empírico con inhibidores de la bomba de protones, seguido de una endoscopía digestiva alta y, cuando esta no resulta concluyente, de estudios funcionales esofágicos basados en catéter. Este enfoque se asocia a tiempos diagnósticos prolongados, estudios incompletos por mala tolerancia, demoras en el acceso a centros especializados y un incremento sustancial de los costos sanitarios. Los avances recientes en las tecnologías endoscópicas y funcionales ofrecen la oportunidad de replantear de manera fundamental la evaluación de los síntomas esofágicos. La integración de herramientas

de estratificación endoscópica de riesgo -como el Clinical Achalasia Risk Score- junto con la planimetría mediante Functional Lumen Imaging Probe y el monitoreo inalámbrico del pH, permite realizar una evaluación fisiológica integral durante la endoscopía índice, bajo sedación, optimizando el rendimiento diagnóstico del procedimiento. Esta estrategia tiene el potencial de reducir significativamente la incertidumbre diagnóstica, acortar el tiempo hasta el diagnóstico definitivo y disminuir la dependencia de estudios con catéter mal tolerados. En esta revisión se sintetiza la evidencia emergente que respalda un paradigma diagnóstico centrado en la endoscopía índice como evento diagnóstico central e integrador. Se analizan las limitaciones de los métodos diagnósticos tradicionales, se revisan los principios fisiológicos y la utilidad clínica de la planimetría mediante Functional Lumen Imaging Probe y el monitoreo inalámbrico de reflujo. Se propone un algoritmo práctico que integra esas herramientas, con el objetivo de brindar una atención de precisión y eficiente, orientada a mejorar el rendimiento diagnóstico y la toma de decisiones terapéuticas en los pacientes con síntomas esofágicos. Dado que la evidencia disponible es emergente y se concentra en centros con experiencia, el algoritmo propuesto debe interpretarse como un marco pragmático para optimizar la secuencia diagnóstica, sujeto a validación prospectiva y adaptación al contexto local.

Palabras claves. Endoscopía índice, planimetría FLIP, trastornos motores esofágicos, monitoreo inalámbrico del pH, Clinical Achalasia Risk Score, enfermedad por reflujo gastroesofágico, esofagitis eosinofílica, unión esofagogástrica, manometría de alta resolución, disfagia.

Abbreviation

GERD: Gastroesophageal reflux disease.

EoE: Eosinophilic esophagitis.

PPIs: Proton pump inhibitors.

CARS: Clinical Achalasia Risk Score.

FLIP: Functional Lumen Imaging Probe.

pH: Hydrogen potential.

HRM: High-resolution manometry.

EGJ: Esophagogastric junction.

EREFS: Edema, rings, exudates, furrows, strictures.

Redefining the Initial Endoscopy Evaluation of Esophageal Symptoms: Toward a Precision-Based Diagnostic Paradigm Juan I. Olmos et al.

IRP: Integrated relaxation pressure.

EGJ-DI: Esophagogastric junction distensibility index.

RAC: Repetitive anterograde contractions.

AET: Acid exposure time.

Introduction

Esophageal symptoms, such as heartburn, dysphagia, regurgitation, chest pain, and food impaction, account for a substantial proportion of outpatient gastroenterology encounters. Although these are common clinical manifestations, the underlying etiologies are heterogeneous and, in many cases, difficult to differentiate based solely solely on clinical history. Gastroesophageal reflux disease (GERD), eosinophilic esophagitis (EoE), esophageal motility disorders, and functional esophageal disorders often present with overlapping symptom profiles. This leads to diagnostic ambiguity and therapeutic uncertainty.1

Historically, the evaluation of esophageal symptoms has relied on empiric therapeutic trials, particularly with proton pump inhibitors (PPIs), followed by upper endoscopy and, when necessary, esophageal function testing. Although this model is firmly established in routine clinical practice, there is a growing recognition that this approach may be diagnostically inefficient and ineffective in establishing the underlying etiology of symptoms in a significant number of cases. Empirical treatment is associated with a significant placebo effect, delays in definitive diagnosis, and unnecessary prolongation of patient discomfort, particularly in those with esophageal motility disorders or gut-brain interaction disorders.2, 3

Endoscopy remains a cornerstone of esophageal evaluation due to its ability to rule out malignancy, identify mucosal disease, and detect mechanical obstruction. However, up to 50 - 70% of patients undergoing upper endoscopy for esophageal symptoms show no obvious abnormalities, leaving clinicians with limited diagnostic clarity and patients with persistent symptoms.3 In these cases, esophageal functional tests -high-resolution manometry (HRM), ambulatory reflux monitoring, and barium esophagram-are necessary to establish a diagnosis. Unfortunately, these tests are often performed weeks or months later, require referral to specialized centers, and are limited by suboptimal tolerance and a significant proportion of incomplete studies.2, 3

Advances in endoscopic physiologic assessment now allow us to go beyond the purely exclusionary role of organic pathology in endoscopy. During endoscopy under sedation, tools such as FLIP planimetry and wireless pH monitoring (capsule placement) can be used, providing real-time assessment of esophageal motility, esophagogastric junction (EGJ) opening dynamics, and reflux burden. When combined with structured endoscopic risk stratification systems, such as the Clinical Achalasia Risk Score (CARS),4, 5 these technologies enable an integrated precision diagnostic approach during index endoscopy.

In this context, this review proposes a paradigm shift in the evaluation of esophageal symptoms, positioning index endoscopy as a central and integrative diagnostic event rather than a preliminary screening test. The integration of endoscopic evaluation, physiological studies, and objective reflux monitoring in a single study reduce diagnostic delays, improve the patient experience, and optimize diagnostic and therapeutic decision-making. It should be noted that this strategy is supported by recent but still expanding evidence, so its implementation requires consideration of technological availability, team training, and specific clinical scenarios.

Limitations of the current diagnostic paradigm

Prolonged diagnostic timelines

The traditional diagnostic approach to evaluating esophageal symptoms is inherently sequential and time-consuming. Patients with heartburn or chest pain are often treated empirically with PPIs for 4 - 8 weeks before further evaluation is considered. When symptoms persist, an upper endoscopy is performed, and ambulatory reflux monitoring or manometry studies are often indicated if endoscopic findings are inconclusive. This stepwise approach commonly results in diagnostic times ranging from three to six months, and in some cases exceeding one year.2

Dysphagia is a particularly illustrative example of these limitations. Although endoscopy is appropriately prioritized for its role in ruling out malignant pathology, a normal endoscopic examination frequently leads to the need for additional evaluations. Achalasia and other motility disorders are especially susceptible to diagnostic delays, as the early stages of the disease may present with normal endoscopic findings or equivocal imaging studies. Several studies have shown that pa-

Redefining the Initial Endoscopy Evaluation of Esophageal Symptoms: Toward a Precision-Based Diagnostic Paradigm Juan I. Olmos et al.

tients with achalasia often experience diagnostic delays of more than 12 months, during which time symptoms are often mistakenly attributed to GERD or functional disorders.3

Excessive reliance on empirical treatment

Empirical treatment with proton pump inhibitors (PPIs) continues to be a widely used initial strategy in patients with esophageal symptoms, particularly heartburn and chest pain. While this approach may be appropriate in selected populations, its indiscriminate use poses significant limitations from a diagnostic standpoint. The clinical response to PPIs does not allow for reliable differentiation between gastroesophageal reflux disease, reflux hypersensitivity, and functional heartburn. The observed symptomatic improvement may reflect a placebo effect rather than a change in the disease. 6 Conversely, patients with motility disorders or EoE may experience diagnostic delays due to a transient or absent response to acid suppression.

Fragmentation of studies and barriers to access

Esophageal functional tests are essential for diagnosing motility disorders and characterizing GERD, but access to these tests is limited. High-resolution manometry and pH-impedance monitoring require specific equipment and specially trained personnel, resources that are often concentrated in tertiary centers. Wait times of several months are common, particularly in community settings. Furthermore, incomplete or failed studies occur in up to 20% of cases due to intolerance, technical difficulties, or patient anxiety. 2, 3

Patient experience and test tolerability

Catheter-based diagnostics are a major barrier to effective evaluation. Transnasal manometry and pH-impedance monitoring are associated with discomfort, nausea, nasal pain, and procedural anxiety. In a prospective study evaluating patient experience with esophageal diagnostics, HRM was the only study significantly associated with a traumatic experience ( χ ² = 8.92, p = 0.003). 7 These factors contribute to test refusal, incomplete studies, and diagnostic delays.

Rationale for optimizing index endoscopy

Given the limitations of the current paradigm, there is a strong rationale for rethinking the role of index endoscopy in the evaluation of esophageal symptoms. Endoscopy is already an inevitable endpoint for most patients due to alarm symptoms, refractory disease, or diagnostic uncertainty.1 Taking advantage of this index endoscopy to perform a physiological assessment under sedation offers multiple advantages.

First, endoscopy provides critical anatomic and mucosal information that contextualizes physiological findings. The grading of esophagitis using the Los Angeles classification, the evaluation of EoE with systematic biopsies and EREFS scoring, the assessment of the gastroesophageal valve and hiatal hernia, as well as the identification of endoscopic signs suggestive of achalasia, provide fundamental elements for the integrated interpretation of subsequent physiological data. 8

Second, the introduction of structured endoscopic risk stratification tools, such as the Clinical Achalasia Risk Score (CARS), allows the probability of achalasia to be estimated based on reproducible endoscopic findings. The CARS incorporates assessment of esophageal contents, luminal anatomy, upper gastrointestinal tract resistance, and stasis-related mucosal changes, demonstrating excellent predictive value for achalasia when scores exceed predefined thresholds. 4, 5

Third, planimetry using Functional Lumen Imaging Probe (FLIP) technology enables direct assessment of EGJ opening dynamics and esophageal contractile response during endoscopy under sedation. Unlike HRM, which evaluates swallow-induced peristalsis, FLIP technology assesses secondary distension-induced peristalsis as well as esophageal wall stiffness, providing particularly valuable complementary physiological information in patients with equivocal or borderline manometric findings. 9-12

Finally, the wireless pH monitoring capsule can be placed during the same procedure, allowing for objective assessment of acid exposure over 48 - 96 hours without the discomfort of transnasal catheters. This approach aligns with contemporary GERD guidelines and facilitates accurate phenotyping of reflux disease early in the diagnostic course.13, 14

Taken together, these advances support the transition toward a comprehensive and precise diagnostic strategy

Redefining the Initial Endoscopy Evaluation of Esophageal Symptoms: Toward a Precision-Based Diagnostic Paradigm Juan I. Olmos et al.

based on index endoscopy as the central and integrative diagnostic event in the management of esophageal symptoms.

However, it should be noted that the availability of FLIP planimetry and long-term wireless pH monitoring varies across Latin America. In this context, a staged implementation of the index endoscopy approach could be considered, prioritizing its use in patients with a higher pretest probability of motility disorders or optimizing referrals to referral centers.

Endoscopic

motility assessment using FLIP planimetry

Physiologic basis of FLIP planimetry

The functional lumen imaging probe (FLIP) was developed to assess the mechanical and neuromuscular properties of the esophagus using impedance planimetry during controlled volumetric distension. Unlike high-resolution manometry (HRM), which assesses the pressure patterns generated by primary peristalsis induced by swallowing, FLIP planimetry evaluates the esophageal response to sustained distension, thereby assessing secondary peristalsis and esophageal wall stiffness.

During FLIP planimetry, a compliant balloon catheter containing multiple impedance electrodes and a pressure transducer is positioned across the esophagogastric junction (EGJ). Stepwise or sustained balloon distension (usually 40 - 70 mL) generates luminal deformation that allows simultaneous measurement of cross-sectional area and intraballoon pressure along the esophageal axis. The data are represented as spatiotemporal maps of diameter, providing real-time visualization of EGJ opening and esophageal body contractile activity.12

This approach offers several physiologic advantages. Luminal distension activates intrinsic enteric reflexes, independent of the central mechanisms of swallowing, allowing for the assessment of neuromyogenic integrity even in patients unable to generate reliable swallows. In addition, distension-induced contractions follow the intrinsic latency gradient of the esophagus, revealing clinically relevant alterations in coordination, propagation, and contractile vigor that may not be apparent in HRM.9 - 11

Assessment of esophagogastric junction opening dynamics

A key strength of FLIP planimetry is its ability to quantify the opening dynamics of the EGJ. Traditional manometric metrics, such as integrated relaxation pressure (IRP), infer EGJ relaxation based on intraluminal pressure during swallowing. In contrast, FLIP directly measures the mechanical opening of the EGJ under distension, simultaneously integrating the effects of lower esophageal sphincter tone, crural diaphragm function, and esophageal wall compliance.

EGJ opening is characterized using two principal parameters: the EGJ distensibility index (EGJ-DI), calculated as the minimum cross-sectional area divided by intrabag pressure, and the maximum EGJ diameter reached during distension. These metrics have been validated against timed barium esophagram and in relation to clinical outcomes, demonstrating strong associations with clinically relevant obstruction.9, 11

Based on established thresholds, EGJ opening can be categorized as normal, borderline, or reduced. Normal opening is defined by an EGJ-DI ≥ 2.0 mm²/mmHg with a maximum diameter ≥ 16 mm, while reduced opening is defined by an EGJ-DI < 2.0 mm²/mmHg with a maximum diameter < 12 mm. Borderline opening included intermediate values that do not meet criteria for either category.12

It is essential to interpret EGJ opening in the context of esophageal contractile response. A mechanically adequate EGJ may nevertheless result in functional obstruction of bolus transit in patients with absent or severely impaired peristalsis, highlighting the need for integrated and contextualized interpretation rather than reliance on isolated metrics.

Contractile response patterns in FLIP planimetry

FLIP planimetry allows the esophageal contractile response to distension to be classified into reproducible patterns that correlate with clinically relevant motility phenotypes. The normal contractile response is defined by the presence of repetitive anterograde contractions (RACs) that meet the “rule of 6”: at least six consecutive anterograde contractions extending ≥ 6 cm in axial length, at a frequency of 6 ± 3 contractions per minute. 10, 12

The borderline contractile response is characterized by distinguishable anterograde contractions that do not

fully meet RAC criteria, while the impaired or disorganized response reflects absent or irregular contractile activity without organized propagation. The absent contractile response denotes complete lack of esophageal body contraction during distension.

A distinct category, known as the spastic-reactive contractile response, includes sustained occluding contractions, sustained contraction of the lower esophageal sphincter, or repetitive retrograde contractions. This pattern is strongly associated with spastic motility disorders, including type III achalasia, distal esophageal spasm, and hypercontractile esophagus (jackhammer). 12

These FLIP-based phenotypes show substantial concordance with Chicago Classification v4.0 diagnoses, while providing complementary information, particularly in cases of equivocal HRM findings or incomplete manometric studies.

Integrating FLIP planimetry with endoscopic risk stratification

Role of Clinical Achalasia Risk Score (CARS)

While FLIP planimetry provides robust physiologic data, its diagnostic power is enhanced when interpreted in conjunction with structured endoscopic risk stratification. The Clinical Achalasia Risk Score (CARS) was developed to address the persistent diagnostic delay associated with achalasia by quantifying endoscopic features linked to esophageal outflow obstruction. 9

The CARS incorporates four domains: esophageal contents, luminal anatomy, upper esophageal sphincter resistance, and stasis-related mucosal changes. Scores range from 0 to 8, with higher values indicating a greater likelihood of achalasia. Validation studies have demonstrated that a CARS score > 4 confers a greater than 95% probability of achalasia, while scores of 0-1 are associated with a very low probability of the disease. 4

Probability-based diagnosis using CARS and FLIP

The integration of CARS and FLIP planimetry allows a probability-based diagnostic framework that transcends binary classification. Patients with high

CARS scores and reduced EGJ opening on FLIP have an extremely high likelihood of achalasia and can proceed directly to definitive treatment without the need for confirmatory manometry. This approach is particularly relevant for patients with classic patterns of non-spastic obstruction, where diagnostic certainty is high. However, it should be noted that this approach should be reserved for scenarios with very high pretest probability, clinical-endoscopic-physiological concordance, and the availability of experienced personnel, given that high-resolution manometry remains the gold standard for formal motility classification and therapeutic definition in intermediate or discordant phenotypes.

Conversely, patients with low CARS scores and normal EGJ opening with preserved or borderline contractile response are unlikely to have a major motility disorder. In these cases, further evaluation should focus on GERD or gut-brain interaction disorders, rather than additional motility studies.

Intermediate scenarios -such as borderline EGJ opening, spastic-reactive contractile patterns, or moderate CARS scores- identify patients who benefit most from HRM or timed barium esophagram. It should be noted that studies suggest that only 30% to 50% of patients in this intermediate group ultimately meet criteria for a major motility disorder, underscoring the value of targeted indication for these studies rather than their routine use. 5

In the proposed paradigm, centered on index endoscopy with FLIP planimetry, esophagram should be reserved for equivocal cases of suspected obstruction, particularly when diagnostic uncertainty persists after FLIP or when there is discordance between FLIP and high-resolution manometry. In patients with overt achalasia and high CARS scores, radiological evaluation rarely changes management. However, barium esophageal transit -particularly when performed with the timed protocol and tabletcontinues to be clinically useful in evaluating bolus transit, the functional impact of obstruction, and the correlation with symptoms, especially in cases of intermittent dysphagia or when complementary dynamic assessment is required.Overall, this integrated approach would substantially reduce the need for catheter studies while maintaining high diagnostic accuracy.

Redefining the Initial Endoscopy Evaluation of Esophageal Symptoms: Toward a Precision-Based Diagnostic Paradigm Juan I. Olmos et al.

Wireless pH monitoring during index endoscopy

Rationale and technical considerations

Wireless pH monitoring was developed to overcome the tolerance limitations associated with transnasal catheter reflux studies. The capsule is endoscopically affixed to the distal esophagus, typically 6 cm above the squamocolumnar junction, and allows for the recording of esophageal acid exposure over 48 to 96 hours. This extended monitoring period improves diagnostic performance by capturing the daily variability in reflux patterns. 14

A particularly important point is that wireless pH monitoring can be performed during the same endoscopic session in which FLIP planimetry is conducted, eliminating the need for additional procedures. This is particularly advantageous in patients evaluated withoutf proton pump inhibitors, as recommended by contemporary guidelines when GERD diagnosis is uncertain.6

Role in the phenotyping of GERD and functional disorders

Objective assessment of reflux is essential for distinguishing pathologic GERD from reflux hypersensitivity and functional heartburn. Symptomatic response to PPIs alone is insufficient to establish diagnosis, given that the placebo response and non-acid mechanisms contribute substantially to the perception of symptoms.

Wireless pH monitoring allows accurate quantification of acid exposure time (AET) and facilitates correlation with patient-reported symptomatic events. According to the Lyon Consensus 2.0, abnormal AET (> 6%) is conclusive evidence of GERD, while a normal AET (< 4%) allows acid-mediated disease to be reliably excluded.14 Intermediate values require contextual interpretation, supported by adjunctive metrics or clinical correlation.

When integrated with FLIP planimetry and endoscopic assessment, wireless pH monitoring enables comprehensive phenotyping of patients with esophageal symptoms. Those with normal EGJ opening, preserved motility, and normal acid exposure are more accurately classified within the spectrum of gut-brain interaction disorders, guiding management toward neuromodulators, behavioral therapy, and reassurance strategies, rather than intensifying acid suppression.

In this context, a recent study conducted in Latin America showed that prolonged wireless pH monitoring allows for the reclassification of more than 70% of patients with borderline acid exposure in 24 - hour pH-impedance testing, overcoming the diagnostic “gray area” associated with catheter methods, which continue to be the most widely used in the region due to cost and access limitations. 17

Clinical impact of an integrated strategy focused on index endoscopy

By incorporating FLIP planimetry, CARS scoring, and wireless pH monitoring into the index endoscopy, clinicians can establish a definitive diagnosis in most patients who would otherwise have an inconclusive evaluation. In the remaining patients, the physiological data obtained during endoscopy allow for targeted selection of confirmatory tests. Recent series from experienced centers have shown that this approach reduced the indication for manometry in a substantial proportion of patients and shortened the diagnostic time, although the magnitude of these benefits may vary depending on the local healthcare system (Figure 1). While available data suggest clinical and efficiency benefits, the magnitude of the impact may vary depending on local access to FLIP, wireless pH monitoring, and experience in physiological interpretation.

This strategy aligns with emerging cost-effectiveness data demonstrating that early physiological assessment is clinically superior and economically advantageous compared to empirical treatment and delayed diagnostics. 15, 16 Furthermore, performing these assessments under sedation significantly improves the patient experience and study completion rates.

Pragmatic diagnostic algorithm centered on index endoscopy

Figure 2 presents a proposed diagnostic algorithm that repositions the initial endoscopy as the central diagnostic procedure for patients presenting with esophageal symptoms. This approach is based on the recognition that upper gastrointestinal endoscopy is inevitable in most cases, whether due to the presence of alarm symptoms, refractoriness to empirical treatment, or persistent diagnostic uncertainty, and takes advantage of this opportunity to incorporate a comprehensive physiological evaluation.

Redefining the Initial Endoscopy Evaluation of Esophageal Symptoms: Toward a Precision-Based Diagnostic Paradigm Juan I. Olmos et al.

1. Diagnostic algorithm focused on index endoscopy

NEW - Diagnos c Algorithm for Esophageal Symptoms

Pa ent with Esophageal Symptoms Dysphagia, Heartburn, Regurgita on Chest Pain-r/o cardiac causes

Spasm/ Possible Obstruc on Manometry using CC 4.0 1-2 months

Endoscopic Visualiza on

• EGD with CARS Score

• Biopsy

• Dysphagia

• Chest pain with ea ng

Abnormality

Esophageal Disorder of Gut-Brain Interac on Achalasia Treat accordingly

The proposed diagnostic algorithm integrates structured endoscopic assessment, the Clinical Achalasia Risk Score (CARS), FLIP planimetry, and wireless pH monitoring during index endoscopy. This approach enables rapid phenotyping of esophageal disorders, reduces reliance on catheter-based testing, and shortens time to diagnosis.

Figure

Redefining the Initial Endoscopy Evaluation of Esophageal Symptoms: Toward a Precision-Based Diagnostic Paradigm Juan I. Olmos et al.

and FLIP planimetry

New Management Algo rithm

Pa ent with Esophageal Symptoms

Dysphagia, regurgita on, Chest Pain – r/o cardiac causes

Esophagi s > LA B, LSBE, Hernia > 5cm Stricture, Overt EoE - EREF > 1

Other esophagi s EGD - OFF PPI

Treat accordingly

Bravo Posi ve Biopsies Nega ve DX: GERD REFLUX TX

Bravo Nega ve Biopsies Nega ve DX: DGBI HYP / N Mod

Bravo Nega ve Biopsies Posi ve DX: EoE

Bravo Posi ve Biopsies Nega ve DX: GERD REFLUX TX

Bravo Nega ve Biopsies Nega ve DX: S - IEM Lifestyle / Diet Promo lity HYP / NMod

CARS Score / FLIP Panometry

Biopsies for Dysphagia and Chest Pain with ea ng

Possible Obstruc ón

Targeted Dila on Using MaxD and DP

Disrup ón

DX: Stricture R / O EoE, REFLUX TX

No Response Biopsies Nega ve No Response Biopsies Posi ve DX: EoE

HRM

Probability of MMD based on CARS and Contrac le Pa ern

Possible Spasm / JH Rare HRM

Probability of MMD

Spas c Obstruc on

DX: Achalasia II / III EGJOO

HRM

Subtype Achalasia Tailored treatment

Non-Spas c Obstruc on

CARS > 4

DX: Achalasia I / II

TX: PD / POEM / LHM

CARS ≤ 4

DX: Achalasia EGJOO or PDMO

HRM

Subtype Achalasia

Tailored treatment

PDMO - consider BoTox

Integration of endoscopic CARS score with FLIP planimetry findings to estimate the probability of achalasia and guide further treatment. Higher CARS scores combined with reduced EGJ opening and poor contractile response are associated with a high probability of achalasia. Intermediate phenotypes identify patients who require confirmatory testing. This algorithm provides a framework for following a treatment process that will expedite care and judiciously use manometry in patients without conclusive diagnoses.

Patients presenting with dysphagia, regurgitation, food-related chest pain, or refractory heartburn undergo a high-quality upper gastrointestinal endoscopy, ideally without PPIs when feasible. The endoscopic evaluation includes systematic assessment of mucosal disease (Los Angeles classification and EREFS score), exclusion of mechanical obstruction, identification of anatomical abnormalities-such as hiatal hernia using the Hill classification-and evaluation of findings suggestive of achalasia using the Clinical Achalasia Risk Score (CARS).

When an obvious etiology is identified, such as grade B or higher esophagitis according to the Los Angeles classification, histologically confirmed eosinophilic esophagitis, fixed stenosis, malignancy, or large hiatal hernia,- management continues according to the established diagnosis, without the need for additional physiological tests. However, in the absence of a clear etiology, FLIP planimetry is performed during the same endoscopic session.

FLIP planimetry stratifies patients according to

Figure 2. Clinical application of combined CARS
Hypocontrac le

Redefining the Initial Endoscopy Evaluation of Esophageal Symptoms: Toward a Precision-Based Diagnostic Paradigm Juan I. Olmos et al.

EGJ opening dynamics and contractile response. Patients with reduced EGJ opening and impaired or absent contractile response, particularly in the context of an elevated CARS score, have a high probability of presenting with achalasia and could proceed directly to definitive therapy without the need for confirmatory manometry. In contrast, patients with spastic-reactive contractile patterns could be referred for high-resolution manometry to define the subtype and guide a personalized therapeutic strategy.

Patients with normal EGJ opening and preserved or borderline contractile response have a low probability of having a major motility disorder. In these cases, wireless pH monitoring performed during index endoscopy allows for accurate phenotyping of GERD. Pathological acid exposure supports the diagnosis of GERD and guides

treatment with acid suppression or anti-reflux interventions, while normal acid exposure favors the diagnosis of a gut–brain interaction disorder and directs management toward neuromodulation, behavioral interventions, and reassurance strategies.

This algorithm allows a definitive diagnosis to be established within a few days for most patients, minimizing diagnostic delays and reducing reliance on poorly tolerated catheter-based testing.

By consolidating diagnostic testing into a single instance, the proposed algorithm reduces procedural redundancy, shortens time to treatment, and improves patient satisfaction. These benefits are especially relevant for healthcare systems facing increasing demand, limited access to subspecialty testing, and pressure to reduce low-value clinical practices.

3. Clinical application based on combined CARS and FLIP

Wireless pH Tes ng using Lyon 2.0

Manometry using CC 4.0

Achalasia I/II LES Directed therapy

This figure highlights the interplay between endoscopy and FLIP planimetry in patients with esophageal symptoms. In the top endoscopic panels, the CARS score is 1 based on normal anatomy, absence of retention, and normal EGJ. In this case, if FLIP planimetry showed repetitive anterograde contractions (RACs) and normal EGJ Opening (top FLIP topography), normal motility would be diagnosed with greater than 95% certainty, and this patient would proceed to wireless reflux testing using the Lyon 2.0 consensus approach if GERD is suspected. Conversely, given the same endoscopy presentation (CARS score of 1) and a FLIP planimetry pattern of non-spastic obstruction, the suspicion of achalasia would be high (greater than 90%) and the patient’s manometry could be expedited. Regarding the presentation of the bottom endoscopic images, the CARS score is > 4 given that the esophagus is dilated with retention and the EGJ is puckered and resists the passage of the endoscope. Given the pattern of non-spastic obstruction on the FLIP planimetry and the evident endoscopy, manometry can be avoided and the patient should be treated with a targeted myotomy at the EGJ, as it is most likely Type I achalasia. The combination of endoscopy and FLIP planimetry provides a point of care assessment that is clinically intuitive and efficient.

Figure

Redefining the Initial Endoscopy Evaluation of Esophageal Symptoms: Toward a Precision-Based Diagnostic Paradigm Juan I. Olmos et al.

4.

Future Directions

The integration of FLIP planimetry and structured endoscopic assessment represents only the first step toward precision esophagology. Current research aims to improve the physiological characterization of the esophagus by incorporating quantitative measurements of esophageal work and contractile power, which reflect how much energy the organ generates to propel the bolus, thus overcoming assessment based solely on pressure or diameter.

Artificial intelligence and machine learning offer promising avenues to enhance diagnostic accuracy and reproducibility. Automated interpretation of endoscopic findings, CARS scoring, and FLIP planimetry patterns could provide real-time decision support during endoscopy, reducing operator dependence and facilitating broader adoption of these diagnostic resources. Initial work using simplified mathematical models and computational simulations of the esophagus suggests that combining physiological data with computational modeling could enable greater treatment personalization, especially in complex motility disorders.

Future prospective studies are needed to validate outcome-based thresholds for FLIP planimetry, assess long-term clinical outcomes of algorithms focused on index endoscopy, and define optimal therapeutic options for intermediate phenotypes. As these data emerge, the role of endoscopy in esophageal disease is likely to evolve from a purely diagnostic tool to a platform for integrated physiological assessment and therapeutic decision-making.

Intellectual property. The authors declare that the data and figures presented in the manuscript are original and were carried out at their belonging institutions.

Funding. The authors declare that there were no external sources of funding.

Conflict of interest. The authors declare that they have no conflicts of interest in relation to this article.

Figure

Redefining the Initial Endoscopy Evaluation of Esophageal Symptoms: Toward a Precision-Based Diagnostic Paradigm Juan I. Olmos et al.

Copyright © 2025 Acta Gastroenterológica latinoamericana. This is an openaccess article released under the terms of the Creative Commons Attribution (CC BY-NCSA 4.0) license, which allows non-commercial use, distribution, and reproduction, provided the original author and source are acknowledged

Cite this article as: Olmos J I y Pandolfino J E. Redefining the Initial Endoscopy Evaluation of Esophageal Symptoms: Toward a Precision-Based Diagnostic Paradigm. Acta Gastroenterol Latinoam. 2026;56(1):29-40. https://doi. org/10.52787/agl.v56i1.601

References

1. Aziz Q, Fass R, Gyawali CP, Miwa H, Pandolfino JE, Zerbib F. Functional esophageal disorders. Gastroenterology. 2016;150(6):1368-1379. DOI: 10.1053/j.gastro.2016.02.012

2. Veldhuyzen van Zanten SJ, et al. Diagnostic delay in refractory GERD. Am J Gastroenterol. 2006;101(11):2457-2462.

3. Kessing BF, et al. Esophageal achalasia: diagnostic delay and clinical impact. Dis Esophagus. 2014;27(7):641-648.

4. Ellison A, Peller M, Nguyen AD, Carlson DA, Pandolfino JE, Triggs JR, et al. An endoscopic scoring system for achalasia: the CARS score. Gastrointest Endosc. 2024;100(3):417-428.e1.

5. Carlson DA, Li M, Fass O, Pitisuttithum P, Goudie E, Kou W, et al. A combined endoscopy and functional lumen imaging probe planimetry approach can expedite diagnosis of esophageal motility disorders. Gastrointest Endosc. 2025;102(6):811-821. e4. DOI: 10.1016/j.gie.2025.03.1329

6. Gyawali CP, et al. Evaluation of GERD symptoms beyond PPI response. Clin Gastroenterol Hepatol. 2018;16(7):984-990.

7. Taft TH, Carlson DA, Marchese SH, Triggs JR, Pandolfino JE. Initial assessment of medical post-traumatic stress among patients with chronic esophageal diseases. Neurogastroenterol Motil. 2023;35(5):e14540.

8. Lundell LR, Dent J, Bennett JR, Blum AL, Armstrong D, Galmiche JP, et al. Endoscopic assessment of oesophagitis: clinical and functional correlates. Gut. 1999;45(2):172-180.

9. Carlson DA, Gyawali CP, Khan A, Huo D, Pandolfino JE. Classifying esophageal motility by FLIP planimetry. Am J Gastroenterol. 2021;116(12):2357-2366.

10. Carlson DA, Prescott JE, Baumann AJ, Kou W, Pandolfino JE. Validation of secondary peristalsis classification using FLIP planimetry. Neurogastroenterol Motil. 2021;33(11):e14192.

11. Carlson DA, Baumann AJ, Prescott JE, Hungness ES, Pandolfino JE. Validation of clinically relevant thresholds of EGJ obstruction using FLIP planimetry. Clin Gastroenterol Hepatol. 2022;20(6):e1250-e1262.

12. Carlson DA, Baumann AJ, Prescott JE, Triggs JR, Kou W, Kahrilas PJ, et al. A standardized approach to performing and interpreting functional lumen imaging probe planimetry for esophageal motility disorders: the Dallas Consensus. Gastroenterology. 2025;168(6):1114-1127.e5. DOI: 10.1053/j.gastro. 2025.01.234

13. Pandolfino JE, et al. Wireless pH monitoring: clinical utility. Am J Gastroenterol. 2003;98(4):740-749.

14. Yadlapati R, Pandolfino JE, Fox MR, Gyawali CP, Roman S. Lyon Consensus 2.0. Gastroenterology. 2023;164(5):e1-e35.

15. Shah SC, et al. Cost-effectiveness of physiologic testing in heartburn. Gastroenterology. 2022;163(1):44-57.

16. Shah SC, et al. Cost-effectiveness of early motility testing in dysphagia. Clin Gastroenterol Hepatol. 2023;21(4):921-930.

17. Hashimoto H, et al. Prolonged wireless pH monitoring increases diagnostic yield in patients with reflux symptoms and borderline 24-hour impedance pH. Dis Esophagus. 2025;38(2):doaf030. DOI: 10.1093/dote/doaf030

Avances en el tratamiento del estreñimiento refractario pediátrico

Cecilia Zubiri 1 · Anabella Zosi 1 · Román Bigliardi 2

1Servicio de Gastroenterología del Hospital de Niños Sor María Ludovica de La Plata.

2Jefe del Servicio de Gastroeterología pediátrica del Hospital Posadas Provincia de Buenos Aires. Argentina.

Acta Gastroenterol Latinoam 2026;56(1):41-56

Recibido: 04/12/2025 / Aceptado: 09/03/2026 / Publicado online: 31/03/2026 / https://doi.org/10.52787/agl.v56i1.576

Resumen

El estreñimiento funcional refractario es un desafío persistente en pediatría. Más allá del polietilenglicol y los laxantes tradicionales, surgen nuevas terapias farmacológicas y no farmacológicas. Entre los medicamentos innovadores se destacan los agentes prosecretorios, como linaclotida (aprobada para mayores de 6 años), lubiprostona y plecanatida, que aumentan la secreción intestinal. Otros fármacos, como prucaloprida (agonista 5HT-4) y piridostigmina, buscan mejorar la motilidad. Las terapias rectales e intervencionistas incluyen la irrigación transanal -que muestra buenos resultados-, los enemas anterógrados y la inyección de toxina botulínica A, útiles para disfunciones específicas. La biorretroalimentación sigue siendo una herramienta efectiva. La neuromodulación se posiciona como una opción pro-

metedora. La estimulación del nervio sacro implantada y las técnicas no invasivas como la estimulación percutánea/ transcutánea del nervio tibial posterior y la neuroestimulación transcutánea sacra, demuestran mejoras en los síntomas y la calidad de vida. Existen terapias poco exploradas pero prometedoras a futuro como la cápsula vibratoria, la neuroestimulación magnética y los enfoques mente-cuerpo como la hipnosis. Es crucial la investigación pediátrica específica y un enfoque individualizado del tratamiento para optimizar la adherencia y los resultados en estos pacientes complejos.

Palabras claves. Estreñimiento funcional refractario, pediatría, incontinencia fecal, laxantes, irrigación transanal, neuroestimulación sacra y tibial posterior, toxina botulínica.

Advances in the Treatment of Refractory Pediatric Constipation

Summary

Correspondencia: Cecilia Zubiri

Correo electrónico: cecizubiri03@hotmail.com

Refractory functional constipation is a persistent challenge in pediatrics. Beyond polyethylene glycol and traditional laxatives, new pharmacological and non-pharmacological therapies are emerging. Among the innovative medications, prosecretory agents like linaclotide (already approved for children over 6 years old), lubiprostone and plecanatide,

Avances en el tratamiento del estreñimiento refractario pediátrico

wich increase intestinal secretion, stand out. Other drugs, such as prucalopride (5HT-4 agonist) and pyridostigmine, aim to improve motility. Rectal and interventional therapies include transanal irrigation, -which has shown good results-; antegrade enemas and botulinum toxin A injections, which are useful for specific dysfunctions. Biofeedback remains an effective tool. Neuromodulation is emerging as a promising option. Implanted sacral nerve stimulation and non-invasive techniques such as percutaneous/transcutaneous tibial nerve stimulation and transcutaneous sacral neuromodulation demonstrate improvements in symptoms and quality of life. There are therapies that have been little explored but show promise for the future, such as vibrating capsules, magnetic neurostimulation, and mind-body approaches like hypnosis. Specific pediatric research and an individualized treatment approach are crucial to optimize adherence and outcomes in these complex patients.

Keywords. Refractory functional constipation, pediatrics, fecal incontinence, laxatives, transanal irrigation, sacral and posterior tibial nerve stimulation, botulinum toxin.

Abreviaturas

EF: Estreñimiento funcional.

PEG: Polietilenglicol

ESPGHAN: Sociedad Europea de Gastroenterología, Hepatología y Nutrición Pediátrica.

NASPGHAN: Sociedad Norteamericana de Gastroenterología, Hepatología y Nutrición Pediátrica.

FDA: Food and Drug Administration.

ITA: Irrigación transanal.

ITB: Inyección de toxina botulínica.

MAR: malformación ano rectal.

MMC: Mielomeningocele.

ENS: Estimulación del nervio sacro.

ENTP: Estimulación del nervio tibial posterior.

ETNTP: Estimulación transcutánea del nervio tibial posterior.

EPNTP: Estimulación percutánea del nervio tibial posterior.

EET: Estimulación eléctrica transcutánea abdominal.

Introducción

El estreñimiento funcional (EF) es frecuente en pediatría (hasta 9,5%).1 Su diagnóstico se basa en los criterios de Roma IV según síntomas y edad (Tabla 1).2-3 Los síntomas habituales son deposiciones grandes, dolorosas, poco frecuentes, con o sin dolor abdominal e incontinencia.1 El EF se clasifica en tránsito normal, tránsito

Tabla 1. Criterios de Roma IV para estreñimiento funcional en pediatría

Menores de 4 años

1. < 3 defecaciones por semana.

2. Antecedentes de retención excesiva de heces.

Mayores de 4 años

1. < 3 defecaciones en el inodoro por semana.

2. ≥ 1 episodio de incontinencia fecal por semana.

3. Antecedentes de deposiciones dolorosas o duras. 3. Antecedentes de postura retentiva o retención excesiva de heces voluntarias.

4. Antecedentes de heces de gran diámetro. 4. Antecedentes de deposiciones dolorosas o duras.

5. Presencia de una gran masa fecal en el recto. 5. Presencia de una gran masa fecal en el recto.

6. Si saben ir al baño, se utilizan criterios adicionales: 6. Antecedentes de heces de gran diámetro que pueden obstruir el inodoro. ≥ 1 episodio de incontinencia fecal por semana. Antecedente de heces de gran diámetro que pueden obstruir el inodoro.

Debe cumplir ≥ 2 criterios durante ≥1 mes antes del diagnóstico. Debe cumplir ≥ 2 criterios durante ≥1 mes antes del diagnóstico.

Cecilia Zubiri

Avances en el tratamiento del estreñimiento refractario pediátrico

lento y alteración defecatoria, esta última por retención fecal, siendo muy común en niños.4

El manejo inicial es no farmacológico. Se basa en la ingesta normal de fibra y líquidos, actividad física y pautas educativas para el paciente y su familia.5-6 Desde los 4 años se tiene en cuenta el control del esfínter anal.5-6 Algunos pacientes no responden al tratamiento mencionado y requieren la incorporación de fármacos. El polietilenglicol (PEG) es la primera opción terapéutica, pu-

Algoritmo de manejo del estreñimiento funcional en pediatría

diendo asociarse a laxantes estimulantes en los casos más complejos. Hasta un 40% de los niños no responden a estas terapias. El estreñimiento intratable o refractario es el que no mejora tras 3 meses de tratamiento óptimo. En estos casos se solicitan estudios adicionales ante la sospecha de una causa orgánica.6 (Gráfico Algoritmo 1) Existen muchas alternativas terapéuticas farmacológicas y no farmacológicas , las cuales se resumen en la Tabla 2 y se detallan en esta revisión.7-9

Paciente pediátrico con cons pación

Ingesta normal de fibra y líquidos

Ac vidad sica

Educación al paciente y su familia

Sin respuesta al tratamiento luego de 3 meses

Descartar causas orgánicas

Verificar adherencia al tratamiento Laxantes osmó cos

Sin causa orgánica y con correcto tratamiento

Estreñimiento funcional refractario

LAXANTES

Osmó cos/Es mulantes/Lubricantes

Nuevos: Prosecretores/Inhibidores de la colinesterasa

/Inhibidores de ácidos biliares/Absorbagogo

ENEMAS

Causa orgánica

Tratamiento específico

Buena respuesta

Tratamiento de mantenimiento + / -

BIOFEEDBACK

CIRUGÍA

Sin mejoría

NEUROESTIMULACIÓN

· Técnicas invasivas

· Técnicas no invasivas

Sin mejoría

Evaluar en forma interdisciplinaria

TOXINA BOTULINICA

TERAPIAS FUTURAS

· Terapia magné ca de neuroes mulación translumbosacra

· Cápsula vibratoria

· Hipnosis

Cecilia Zubiri

Avances en el tratamiento del estreñimiento refractario pediátrico

Tabla 2. Agentes farmacológicos y terapias estándar para el manejo del estreñimiento funcional en niños

Laxantes osmóticos

Emolientes/Ablandadores de heces

Laxantes lubricantes

Laxantes estimulantes de la motilidad

Terapia rectal/Enemas

Sistema de irrigación transanal

Procedimientos terapéuticos

Terapias farmacológicas

Polietilenglicol

Las guías de las Sociedades Europea y Norteamericana de Gastroenterología, Hepatología y Nutrición Pediátrica (ESPGHAN/NASPGHAN) recomiendan PEG como primera opción cuando falla el manejo no farmacológico. 6 La dosis es 0,2 - 0,8 g/kg/día (inicial 0,4 g/kg/día), ajustada según la respuesta. 6 Sus efectos adversos son leves: distensión, flatulencias, náuseas y dolor abdominal. 5, 10

Laxantes osmóticos alternativos

Como segunda línea de tratamiento, en caso de no contar con PEG, se utiliza lactulosa.7 El hidróxido de magnesio es menos efectivo y tolerado que el PEG.8 En lactantes alimentados con fórmulas ricas en magnesio, las heces son más blandas y frecuentes que con la fórmula estándar.

Laxantes estimulantes

Se indican como segunda línea cuando los laxantes osmóticos no son suficientes.7 Incluyen a los difenilmetanos (bisacodilo, picosulfato) y a las antraquinonas (sen), que aumentan la motilidad colónica.4,11 Pueden causar cólicos y dolor abdominal. Son seguros a corto y largo plazo.11,12 El uso prolongado de senósidos puede producir melanosis coli, sin repercusión clínica.13

Polietilenglicol, Lactulosa, Sorbitol, Hidróxido de Magnesio

Docusato

Aceite mineral

Senna y Bisacodilo

Supositorio de glicerina

Bisacodilo (supositorio o enema)

Docusato (enema)

Aceite mineral (enema)

Solución salina

Inyección anal de Toxina Botulínica

Enema anterógrado

Manejo quirúrgico (resecciones parciales, derivación intestinal)

Lubricantes

Ablandan o lubrican las heces. El más usado es el aceite mineral (parafina líquida); seguro y con buenos resultados en EF, aunque la evidencia es limitada. 5,14,10 Puede causar dolor abdominal, náuseas, vómitos y flatulencias, generalmente leves. 4,5,10 Su uso prolongado disminuye la absorción de las vitaminas liposolubles. 15

Alternativas terapéuticas farmacológicas y no farmacológicas

Actualmente disponemos de nuevas terapias, con mayor y mejor evidencia en la población adulta ya que los primeros estudios se realizan en ellos.

Agentes prosecretores

Aumentan la secreción intestinal y aceleran el tránsito.

Lubiprostona

Activa los canales de cloro e incrementa la secreción intestinal.16 Su uso fue aprobado por la FDA ( Food and Drug Administration) para adultos.17 En niños mayores de 6 años muestra una eficacia y seguridad variables.18 - 19

Linaclotida

Activa la guanilato ciclasa-C y aumenta la secreción

Cecilia Zubiri

Avances en el tratamiento del estreñimiento refractario pediátrico

luminal. Es el primer fármaco aprobado por la FDA para el EF pediátrico en niños mayores de 6 años. La dosis es 72 mcg/día. Está contraindicada en niños menores de 2 años.20 - 21

Plecanatida

Es agonista de la guanilato ciclasa-C. Eficaz y segura en adultos,22-26 no tiene datos pediátricos publicados. En estudios preclínicos produjo mortalidad en ratones jóvenes. Existe un ensayo pediátrico en curso.

Agonistas 5HT-4

Estimulan la liberación de acetilcolina, aumentan la motilidad y la secreción.

La más utilizada es prucaloprida.4 Fue aprobada por la FDA para su uso en adultos, con buena eficacia y seguridad.27-28 Está indicada cuando se sospecha tránsito lento o dismotilidad colónica/gastrointestinal. En el estreñimiento intratable se encontraron resultados pediátricos variables, sin clara superioridad frente al placebo.29-32 Las diferencias fisiopatológicas adulto-niño explican su menor eficacia pediátrica.

Inhibidor de colinesterasa

Piridostigmina

Aumenta la acetilcolina, mejorando la motilidad.33 Existen datos limitados en adultos33-34 y solo reportes de casos en niños. No cuenta con evidencia concluyente en el EF pediátrico.35-36

Ácidos biliares

Elobixibat

Inhibe la reabsorción ileal de los ácidos biliares, aumentando su efecto osmótico y la motilidad colónica.37 Es eficaz y seguro en adultos.38-39 Aún no se cuenta con datos pediátricos.

Absorbagogo

Tenapanor

Previene la reabsorción de líquido colónico al inhibir el intercambiador de Na(+)/H(+),40 reduciendo la absorción de sodio. Fue aprobado por la FDA para el tratamiento del síndrome de intestino irritable con estreñimiento en adultos. Su efecto adverso principal es la diarrea.41 Sin evidencia actual en pediatría.

Enemas e irrigación transanal

Cuando la terapia laxante oral estándar no alivia los síntomas, se puede considerar la terapia adyuvante rectal, con enemas o con irrigación transanal (ITA).6

Enemas

Existen varios tipos de enemas para facilitar la eliminación rectal de las heces. Los más utilizados son los de cloruro de sodio, fósforo sódico o aceite mineral. El docusato sódico puede prepararse como un enema de pequeño volumen, actúa ablandando y lubricando las heces. Se utilizan en la primera etapa del tratamiento en niños que consultan por impactación fecal y encopresis secundaria. Forman parte del programa de manejo intestinal en los niños con malformaciones anorrectales e intestino neurogénico.4

Sistema de irrigación transanal

La ITA consiste en introducir agua a través del ano, en el recto y el colon distal, con un volumen de 10 a 20 ml/kg, para prevenir la acumulación de heces. El sistema de irrigación anal Peristeen® (Coloplast A/S, Kokkedal, Dinamarca o Mallinckrodt, St. Louis, MO) (Figuras 1 y 2) cuenta con un catéter endo rectal con un balón insuflable en su extremo distal, que impide la salida del líquido hacia el exterior mientras se realiza el lavado. Al terminar de pasar todo el líquido indicado, se desinfla el balón y se retira el catéter, dando lugar a la evacuación de heces hidratadas.42 Este sistema otorga independencia a los pacientes que deben utilizar esta terapéutica de manera crónica.

Figura 1. Irrigador ano rectal Peristeen® Plus

Cecilia Zubiri
Imagen extraída de la página web de Coloplast.

El uso del ITA ha sido muy estudiado en programas de manejo intestinal para los niños con malformaciones recto anales e intestino neurogénico.43-44 En niños con EF demostraron buenos resultados, con un rango de entre 41% y 73% de efectividad y mejoras en la calidad de vida.42-48

Las complicaciones severas son extremadamente infrecuentes e incluyen sangrado rectal significativo y perforación intestinal (0,002%).49-51 Las complicaciones menores incluyen fugas alrededor del balón, dolor abdominal durante la administración del líquido y ruptura del balón.46, 47, 51

Enema Anterógrado

Puede considerarse en EF o incontinencia fecal refractaria a todo tratamiento médico indicado. Se trata de una cirugía mínimamente invasiva, donde se coloca un botón de cecostomía (Figura 3).

Generalmente la respuesta es buena y mejora la calidad de vida del paciente. Actualmente su uso es limitado, dada la gran oferta de tratamientos previos existentes con buenos resultados.

Las complicaciones son menores pero frecuentes, como fugas periestomales, infección y estenosis del ostoma, cateterización difícil con riesgo de crear un conducto falso y contaminación persistente. 52-55 Un estudio informó que el 10 % de los niños necesitaron reoperarse. 52 No existen datos previos predictores de buena respuesta, pero la utilización del enema retrógrado preoperatorio con buena respuesta podría ser un posible parámetro. 56

Inyección de toxina botulínica

La inyección de toxina botulínica A (ITB) en el esfínter anal fue descrita inicialmente por Langer en 1997 para disminuir los síntomas obstructivos en niños con enfermedad de Hirschsprung.57

No existe un consenso en su técnica de aplicación. Se puede aplicar en dos o cuatro cuadrantes, con o sin guía ecográfica (Figura 4).58 Actualmente está indicada en los trastornos pediátricos de la defecación como disinergia defecatoria, en niños con malformaciones anorrectales (MAR), dismotilidad colónica, acalasia del esfínter anal interno y EF.59-62

Cecilia Zubiri
Figura 2. Catéter del irrigador posicionado en el recto
Figura 3. Botón para enemas anterógrados
Imagen extraída de la página web de Coloplast.
Imagen extraída del artículo “Abordaje quirúrgico de la incontinencia fecal”, de Ceciliano-Romero y Cordero-Castro.

Avances en el tratamiento del estreñimiento refractario pediátrico

4. Técnica de aplicación de toxina botulínica en el esfínter anal

Los efectos secundarios de la ITB generalmente son leves. La incontinencia fecal y/o urinaria los primeros días o semanas posteriores a la inyección, son el evento adverso más frecuente y se autolimitan.59, 60, 63 En un estudio que comparó la efectividad de la IBT frente a la implementación de un programa de manejo intestinal con utilización de senósidos en pacientes con EF y obstrucción al tracto de salida, no encontró diferencias

5. Programa de biorretroalimentación para niños

significativas entre ambos grupos, pero el número de pacientes fue escaso.64

Bioretroalimentación (Biofeedback)

Técnica descripta en 1974 por Engel BT y colaboradores, 65 consiste en colocar una sonda con un balón en su extremo distal en el orificio anal, que se insufla una vez adentro del recto simulando la llegada de materia fecal. El niño va observando todo en una pantalla, que puede tener dibujos animados que responden a los cambios de presiones (Figura 5). Se solicita al niño que haga ejercicios de pujo y contracción que va aprendiendo mediante retroalimentación visual y verbal a medida que se intenta ir produciendo algún grado de sensibilidad rectal. Es eficaz para controlar los trastornos del suelo pélvico y para mejorar la función anorrectal. 66-70

En los Hospitales Posadas y Sor María Ludovica de Argentina se trataron 157 pacientes; 42 con EF refractario, 71 con mielomeningocele (MMC) y 44 con MAR (datos no publicados). El 58,6% logró la continencia total, un 20,4% continencia parcial y un 21% no mejoró. Los mejores resultados se observaron en pacientes con MMC y MAR. Los niños con EF refractario fueron los de peor evolución.

Neuroestimulación/Neuromodulación

Se puede realizar con diferentes técnicas:

Técnicas invasivas

• Electroestimulación del nervio sacro con catéter implantable quirúrgicamente.

A medida que aumenta la presión del esfínter anal, el círculo va ascendiendo por la pendiente. Al lograr la presión normal, el círculo llega al extremo opuesto de la pendiente y el sol manifiesta una sonrisa.

Cecilia Zubiri
Figura
Figura
Imagen extraída del artículo “Toxina botulínica en la fisura anal”, de Miguel Mínguez y Belén Herreros.

Avances en el tratamiento del estreñimiento refractario pediátrico

• Electroestimulación percutánea del nervio tibial posterior.

Técnicas no invasivas

• Electroestimulación transcutánea del nervio tibial posterior.

• Electroestimulación transcutánea del nervio sacro.

• Electroestimulción interferencial transcutánea abdominal.

• Terapia magnética de neuroestimulación translumbosacra.

Estimulación del nervio sacro con dispositivo implantado quirúrgicamente

Actualmente se considera la alternativa de neuromodulación más estudiada y consolidada para el tratamiento de los trastornos defecatorios en adultos. Consiste en la aplicación de estimulación eléctrica de baja amplitud a la raíz nerviosa sacra mediante un cable implantado quirúrgicamente a través del foramen sacro y conectado a un generador de pulsos y a una batería implantados en el glúteo.71 La implantación permanente puede realizarse tras demostrar su eficacia mediante estimulación temporal con un generador de pulsos externo) (Figura 6).72

Electro estimulación nervio tibial posterior

Nervio tibial posterior

Electro estimulación transcutánea abdominal

Cecilia Zubiri
Figura 6. Terapias de neuromodulación disponibles para el estreñimiento funcional en niños4
Electro estimulación del nervio sacro

Avances en el tratamiento del estreñimiento refractario pediátrico

La estimulación del nervio sacro (ENS) es útil en el tratamiento de la incontinencia fecal, el estreñimiento y la incontinencia urinaria. Se cree que actúa mediante la modulación y estimulación de vías centrales, autónomas, del sistema nervioso entérico u otras vías. Aumenta la frecuencia de las contracciones colónicas de alta amplitud propagadas en adultos con estreñimiento de tránsito lento4, 73, 74 y mejora la sensibilidad, como se ha demostrado por manometría recto anal.73-75

La FDA aprobó su indicación en población adulta con incontinencia fecal y/o urinaria. No hay suficiente evidencia en pediatría.76 Sin embargo, existen múltiples estudios que indican que la ENS puede ayudar en el manejo del EF pediátrico, mejorando los síntomas de estreñimiento en el 70-80% de los casos, como así también la calidad de vida.77-81

Se realizaron estudios comparativos entre ENS y enema anterógrado. Se encontró que los niños sometidos a ENS experimentaron menos ensuciamiento intestinal, mientras que los niños con enema anterógrado mejoraron la frecuencia de las deposiciones, la interrupción del tratamiento con laxantes y el dolor abdominal.82

Un estudio prospectivo incluyó adolescentes que continuaban presentando síntomas de estreñimiento a pesar del uso de enema anterógrado y les ofrecieron realizar ENS, logrando cerrar la cecostomía a los 2 años en un 45% de los casos.83

Park y col.84 estudiaron 65 pacientes pediátricos en los que se implementó ESN con dispositivos implantados quirúrgicamente. Observaron una mejora significativa de la incontinencia fecal. Los niños con trastornos orgánicos de base tuvieron menor respuesta que aquellos con trastornos funcionales. El 94% de los pacientes reportó mejoría y aseguró que repetiría su decisión de iniciar la ENS.

Si bien la ENS es una terapia prometedora para el manejo del estreñimiento refractario en pediatría, se reportaron eventos adversos frecuentes con la colocación del dispositivo.4 Entre ellos se destacan la necesidad de retirar el dispositivo por razones como el desplazamiento del electrodo, la infección de la herida en el sitio del electrodo o del generador, y el mal funcionamiento del dispositivo. Las tasas de explantación del dispositivo oscilaron entre el 18% y el 56%; algunas fueron seguidas de reimplantación.79, 82, 83, 85

Estimulación percutánea y transcutánea del nervio tibial posterior

La estimulación del nervio tibial posterior (ENTP) es otra terapia neuromoduladora novedosa que consiste en

aplicar estimulación eléctrica al nervio tibial posterior a la altura del tobillo, ya sea de forma percutánea con una aguja (EPNTP) o transcutánea con dos electrodos adheridos a la piel (ETNTP) (Figura 6).4

Se cree que esta estimulación del nervio tibial, una rama distal del nervio ciático que se origina en el plexo nervioso sacro L4-S3, estimula a su vez los nervios sacros, modulando la función urinaria y defecatoria de forma similar a la neuroestimulación sacra transcutánea.86 - 88

Existen datos pediátricos que respaldan el uso de la ENTP para el EF. Se realizó un estudio prospectivo de 21 niños de 4 a 14 años con EF, diagnosticados según criterios de Roma IV, que recibieron sesiones diarias de 30 minutos de ETNTP durante 10 días en un período de 2 semanas. 89 Se observó una mejora significativa en la consistencia de las deposiciones, en la incontinencia fecal y en la presencia e intensidad del dolor abdominal. 89

Se publicaron datos alentadores sobre eficacia y seguridad tras la finalización de un ensayo clínico aleatorizado con 82 niños de 4 a 14 años con EF refractario según los criterios de Roma IV.90 Los niños fueron asignados aleatoriamente a 4 semanas de terapia con EPNTP (dos veces al día, administración de corriente de 15 minutos) o a un grupo control (electrodos aplicados sin corriente). A las 12 semanas del inicio de la intervención se logró la remisión clínica en el 78,6 % de los niños que recibieron EPNTP, en comparación con el 38,1% del grupo control.90

Neuroestimulación transcutánea sacra

Es un método no invasivo, de bajo costo, bien tolerado y sin efectos adversos de importancia.91

Los hospitales Profesor Alejandro Posadas y Sor María Ludovica de Argentina practican esta técnica. Los primeros resultados se presentaron en el Congreso mundial de Neurogastroenterología y motilidad pediátrica en Amsterdam, en septiembre de 2025.

En este trabajo fueron tratados 59 pacientes; 25 con diagnóstico de MMC, 17 de MAR y 17 con EF refractario. Se realizaron 12 sesiones semanales de electroestimulación de 30 minutos con dos electrodos posteriores cutáneos entre S2/S4 (Figura 7), y manometría anorrectal antes y después del tratamiento. En relación a la configuración del estimulador: el tiempo de sesión fue de 30 minutos, modo TENS, frecuencia: 25 Hz, ancho de pulso: 200 microsegundos y frecuencia de Burst: 4 Hz. El 56% de los pacientes logró la continencia total, el 29% parcial y el 15% no presentó mejoría. El 31,3% suspendió los laxantes postratamiento, el 30,4% resolvió la incontinencia

Cecilia Zubiri

Avances en el tratamiento del estreñimiento refractario pediátrico

urinaria y el 22,7% suspendió el cateterismo vesical. Los hallazgos manométricos fueron: mejoría significativa de la presión de reposo, de la contracción voluntaria y de la

Estimulación eléctrica transcutánea abdominal

Zubiri

sensorialidad. El test de calidad de vida realizado antes y después del tratamiento demostró mejoría más evidente en los pacientes con MMC.

Cirugía

La estimulación eléctrica transcutánea abdominal (EET) utiliza un dispositivo compuesto por un generador de voltaje de pulso eléctrico, un cable de interconexión y electrodos que se adhieren a la piel (Figura 6). Administra una corriente interferencial sobre las regiones abdominal y lumbar. La corriente generada puede superar la impedancia de la piel para alcanzar un punto de interés.92 El mecanismo preciso que media el efecto aún no está establecido. Una hipótesis es que produce neuromodulación afectando el movimiento intestinal y la sensibilidad.93

Se colocan dos electrodos en la piel de la pared abdominal a la altura del ombligo y otros dos en la espalda, entre T9 y L2 a cada lado,94 calibrados con una frecuencia de 4 kHz, frecuencia de latido 80 a 160 Hz y corriente < 33 mA.95 La evidencia sobre su eficacia es aún contradictoria93, 96, 97 e insuficiente en pediatría para sacar conclusiones.

Diversos estudios demostraron que la EET en niños con tránsito lento mejoró la frecuencia de la defecación, la incontinencia urinaria, el dolor abdominal, la urgencia defecatoria y la calidad de vida.98 Las complicaciones reportadas son menores, como dolor local.80, 97 - 99

Las cirugías más utilizadas en pacientes con estreñimiento refractario son la derivación colónica con colostomía o ileostomía y, en los casos más graves, la resección colónica parcial. Son intervenciones quirúrgicas mayores que pueden presentar complicaciones importantes y, en algunos casos, beneficios limitados. No siempre se logra abandonar el uso de laxantes.100 Se ha realizado el intento de abordaje trans anal, sin buenos resultados.101-102 Las intervenciones quirúrgicas se ven influenciadas por los resultados de una biopsia rectal, los estudios de tránsito intestinal, la presencia de megacolon/megarrecto en el enema de contraste, el grado de suciedad/incontinencia, los hallazgos de la manometría anorrectal y la evaluación de la motilidad colónica. Por tales motivos, la decisión sobre cuál es la técnica indicada para cada paciente debe ser individualizada.103 Los procedimientos quirúrgicos deben ser la última opción, luego de haber intentado previamente otras terapias disponibles.104

Direcciones futuras en el abordaje terapéutico

Terapia magnética de neuroestimulación translumbosacra

Consiste en la estimulación magnética indolora de

Figura 7. Neuroestimulación transuctánea sacra

Avances en el tratamiento del estreñimiento refractario pediátrico

los nervios que regulan los músculos del ano y del recto. La técnica consiste en colocar una sonda en el recto, que contiene dos pares de electrodos bipolares de anillo de acero (Gaeltec Devices Ltd, Dunvegan®, Escocia) separados por 1 cm. El par distal de electrodos queda ubicado en el canal anal a 1 - 2 cm del borde anal, y el par proximal en el recto, a 9 - 10 cm del borde anal. Además, se colocan 3 electrodos de superficie en el músculo tibial anterior como control. Las estimulaciones magnéticas se realizan utilizando una bobina circular, en la región lumbar y sacra, a unos 4 cm a ambos lados de la

línea media (Figura 8).105 Se están realizando estudios en poblaciones adultas que investigan la eficacia de esta tecnología para la incontinencia fecal, con la posibilidad de explorar también su uso en el futuro para el estreñimiento. Existen estudios en población adulta que muestran una mejora significativa de la incontinencia fecal a corto plazo, así como una mejora de la neuropatía, la sensorialidad y la distensibilidad rectal.106 La desventaja de esta tecnología es el uso de una sonda anorrectal, ya que puede existir mayor resistencia a su utilización en poblaciones pediátricas.

Cápsula vibratoria

La cápsula vibratoria es un dispositivo programable de administración oral que obtuvo la aprobación de la FDA para adultos con estreñimiento crónico en el año 2022 (Figura 9). El mecanismo de acción hipotético es que la cápsula tiene un movimiento vibrante que estimula de manera mecánica la pared intestinal, aumen-

Cecilia Zubiri
Figura 8. Sistema de estimulación magnética anorrectal translumbosacra105
1) Bobina magnética, 2) Sonda EMG, 3) Estimulador magnético, 4) Registrador de neurofisiología, 5) Cánula
Figura 9. Cápsula vibrante

Avances en el tratamiento del estreñimiento refractario pediátrico

tando el ritmo circadiano de la actividad contráctil colónica, lo que resulta en un aumento de las deposiciones espontáneas.4, 107 Existen múltiples ensayos controlados aleatorizados en adultos con estreñimiento crónico con resultados alentadores que demuestran eficacia y seguridad.108 Actualmente no existen estudios pediátricos centrados en esta tecnología.

Hipnosis

En un modelo biopsicosocial reconocemos la importancia de los procesos neurobiológicos en las interacciones cerebro-intestino, que conducen a alteraciones en la motilidad, la sensibilidad y las funciones inmunitarias.109

Los mecanismos subyacentes al impacto de la hipnosis en los problemas gastrointestinales aún no están claros, pero los hallazgos de varios estudios sugieren que involucran tanto la modulación del funcionamiento intestinal como cambios en el manejo cerebral de las señales sensoriales del tracto gastrointestinal.110

Los factores psicológicos desempeñan un papel importante en la aparición y el mantenimiento de los trastornos digestivos funcionales, entre ellos el EF.

Los tratamientos médicos, tal como hemos nombrado anteriormente, muchas veces no son suficientes. Esto lleva a prestar más atención a un enfoque no farmacológico que identifique los mecanismos neurobiológicos del binomio mente-cuerpo, como son: yoga, meditación, terapia cognitivo-conductual e hipnosis.111 Si bien tratamientos psicológicos como la terapia cognitivo-conductual y la hipnoterapia han demostrado ser eficaces, integrarlos en la atención médica tradicional es un desafío. Necesitamos eliminar prejuicios tanto del médico como del niño y su familia.111

La hipnoterapia puede permitir la modificación de la comunicación alterada entre el intestino y el cerebro.112 Sin embargo, se requieren más estudios en pacientes pediátricos con EF para poder hacer una recomendación.

Conclusiones

El EF y la incontinencia fecal en pediatría son un problema frecuente. Un gran porcentaje de niños persiste sintomático después de 6 a 12 meses de tratamiento; algunos hasta la adolescencia o la edad adulta.113-115 Por lo tanto, es necesario desarrollar e investigar nuevas opciones terapéuticas.

Existen diversas terapias disponibles y en investigación para el estreñimiento refractario en pediatría. Una limitación importante es que gran parte de los datos actuales se refieren a poblaciones adultas y la fisiopatología del estreñimiento en los niños es diferente a la de los adultos. Esto

explica por qué ciertos tratamientos muestran excelentes resultados en adultos a diferencia de lo que se observa en pediatría, y viceversa. Se requieren más estudios en poblaciones pediátricas, comparando tanto las distintas terapias entre sí como la respuesta en las diferentes causas (EF, MMC o MAR). A mayor variedad de alternativas terapéuticas, aumenta la posibilidad de realizar un tratamiento personalizado de cada paciente según su fisiopatología y respuesta.

Un factor crucial para el éxito del tratamiento es la adherencia al mismo. La mala adherencia al tratamiento farmacológico de mantenimiento es común en niños y constituye un factor importante en la respuesta.116-118

Las molestias, la insatisfacción con los resultados y el impacto emocional de los síntomas de estreñimiento en el niño son factores que pueden afectar negativamente al resultado del tratamiento.119 Por eso es tan importante contar con diversas opciones y ofrecer un tratamiento individualizado.

Propiedad intelectual. Los autores declaran que los datos, las figuras y las tablas presentes en el manuscrito son originales y se realizaron en sus instituciones pertenecientes. Asimismo, solicitaron autorización y dieron reconocimiento al autor original de las Figuras 1-4, 6 y 8.

Financiamiento. Los autores declaran que no hubo fuentes de financiación externas.

Conflictos de interés. Los autores declaran no tener conflic tos de interés en relación con este artículo.

Aviso de derechos de autor © 2026 Acta Gastroenterológica Latinoamericana. Este es un artículo de acceso abierto publicado bajo los términos de la Licencia Creative Commons Attribution (CC BY-NC-SA 4.0), la cual permite el uso, la distribución y la reproducción de forma no comercial, siempre que se cite al autor y la fuente original.

Cite este artículo como: Zubiri C, Zosi A y Bigliardi R Avances en el tratamiento del estreñimiento refractario pediátrico. Acta Gastroenterol Latinoam. 2026;56(1):4156. https://doi.org/10.52787/agl.v56i1.576

Cecilia Zubiri

Referencias

1. Koppen IJN, Vriesman MH, Saps M, et al. Prevalence of functional defecation disorders in children: a systematic review and meta-analysis. J Pediatr. 2018; 198: 121-130 e6. DOI: 10.1016/j.jpeds.2018.02.029

2. Rasquin A, Di Lorenzo C, Forbes D, et al. Childhood functional gastrointestinal disorders: child/adolescent. Gastroenterology. 2006. 130(5):1527-1537. DOI: 10.1053/j.gastro.2005. 08.063

3. Koppen IJ, Nurko S, Saps M, et al. The pediatric Rome IV criteria: what’s new?. Expert Rev Gastroenterol Hepatol. 2017;11 (3):193-201. DOI: 10.1080/17474124.2017.1282820

4. Wolfson S, Saps M. Recent advances in treating constipation in children. Expert Rev Gastroenterol Hepatol. 2024;18(7):325-338. DOI: 10.1080/17474124.2024.2383636. PMID: 39034812.

5. Tabbers MM, DiLorenzo C, Berger MY, Faure C, Langendam MW, Nurko S, et al. Evaluation and treatment of functional constipation in infants and children: evidence-based recommendations from ESPGHAN and NASPGHAN. J Pediatr Gastroenterol Nutr. 2014;58(2):258-274. DOI: 10.1097/ mpg. 0000000000 000266

6. Bardisa-Ezcurra L, Ullman R, Gordon J. Diagnosis and management of idiopathic childhood constipation: summary of NICE guidance. BMJ. 2010;340:c2585. DOI: 10.1136/bmj.c2585

7. van Ginkel R, Reitsma JB, Buller HA, et al. Childhood constipation: longitudinal follow-up beyond puberty. Gastroenterology. 2003;125(2):357-363. DOI: 10.1016/S0016-5085(03)00888-6

8. Pijpers MA, Bongers ME, Benninga MA, Berger MY. Functional constipation in children: a systematic review on prognosis and predictive factors. J Pediatr Gastroenterol Nutr. 2010;50(3):256-268. DOI: 10.1097/MPG.0b013 e3181afcdc3

9. Gordon M, MacDonald JK, Parker CE, Akobeng AK, Thomas AG. Osmotic and stimulant laxatives for the management of childhood constipation. Cochrane Database Syst Rev. 2016; (8):CD009118. DOI: 10.1002/14651858.CD009118.pub3

10. Bonilla S, Nurko S, Rodriguez L. Long-term use of Bisacodyl in pediatric functional constipation refractory to conventional therapy. J Pediatr Gastroenterol Nutr. 2020;71(3):288-291. DOI: 10.1097/MPG.0000000000002795

11. Koppen IJ, Lammers LA, Benninga MA, et al. Management of functional constipation in children: therapy in practice. Paediatr Drugs. 2015;17(5):349-360. DOI: 10.1007/s40272-0150142-4

12. Chen JJ, Kitzia Colliard RN, Nurko S, et al. Melanosis Coli is not associated with colonic dysmotility nor severity of pediatric functional constipation. Dig Dis Sci. 2022;67(8):3922-3928. DOI: 10.1007/s10620-021-07191-z

13. Urganci N, Akyildiz B, Polat TB. A comparative study: the efficacy of liquid paraffin and lactulose in management of chronic functional constipation. Pediatr Int. 2005;47(1):15-19. https://onlinelibrary.wiley.com/doi/10.1111/j.1442-200x. 2004.02001.x

14. Clark JH, Russell GJ, Fitzgerald JF, et al. Serum beta-carotene, retinol, and alpha-tocopherol levels during mineral oil therapy for constipation. Am J Dis Child. 1987;141(11):1210-1212. DOI: 10.1001/archpedi.1987.04460110080028

15. Bijvelds MJC, Bot AGM, Escher JC, et al. Activation of intestinal Cl- secretion by lubiprostone requires the cystic fibrosis transmembrane conductance regulator. Gastroenterology. 2009;137 (3):976-985. DOI: 10.1053/j.gastro.2009.05.037

16. Fukudo S, Hongo M, Kaneko H, et al. Lubiprostone increases spontaneous bowel movement frequency and quality of life in patients with chronic idiopathic constipation. Clin Gastroenterol Hepatol. 2015;13(2):294-301 e5. DOI: 10.1016/j.cgh. 2014.08.026

17. Hyman PE, Di Lorenzo C, Prestridge LL, et al. Lubiprostone for the treatment of functional constipation in children. J Pediatr Gastroenterol Nutr. 2014;58(3):283-291. DOI: 10.1097/ MPG.0000000000000176

18. Benninga MA, Hussain SZ, Sood MR, et al. Lubiprostone for pediatric functional constipation: randomized, controlled, double-blind study with long-term extension. Clin Gastroenterol Hepatol. 2022; 20(3):602-610.e5. DOI: 10.1016/j.cgh. 2021.04.005

19. FDA approves first treatment for pediatric functional constipation. 2023 [2024 Feb 18]. Available from: https://www.fda.gov/ drugs/news-events-human-drugs/fda-approves-first-treatmentpediatric-functional-constipation

20. Di Lorenzo C, Nurko S, Hyams JS, et al. Randomized controlled trial of linaclotide in children aged 6-17 years with functional constipation. J Pediatr Gastroenterol Nutr. 2024;78(5):10591068. DOI: 10.1002/jpn3.12184

21. Barish CF, Griffin P. Safety and tolerability of plecanatide in patients with chronic idiopathic constipation: long-term evidence from an open-label study. Curr Med Res Opin. 2018; 34(4):751-755. DOI: 10.1080/03007995.2018.1430024

22. Kamuda JA, Mazzola N. Plecanatide (trulance) for chronic idiopathic constipation and irritable bowel syndrome with constipation. Pharm Ther. 2018;43(4):207-232.

23. Shailubhai K, Comiskey S, Foss JA, et al. Plecanatide, an oral guanylate cyclase C agonist acting locally in the gastrointestinal tract, is safe and well-tolerated in single doses. Dig Dis Sci. 2013;58 (9):2580-2586. DOI: 10.1007/s10620-013-2684-z

24. Barish CF, Griffin P. Safety and tolerability of plecanatide in patients with chronic idiopathic constipation: long-term evidence from an open-label study. Curr Med Res Opin. 2018;34(4):7515. https://doi.org/10.1080/03007995.2018.1430024

25. Miner PB Jr, Koltun WD, Wiener GJ, De La Portilla M, Prieto B, Shailubhai K, et al. A randomized phase III clinical trial of plecanatide, a uroguanylin analog, in patients with chronic idiopathic constipation. Am J Gastroenterol. 2017;112(4):613-621. https://doi org/10.1038/ajg.2016.611

26. Sajid MS, Hebbar M, Baig MK, et al. Use of prucalopride for chronic constipation: a systematic review and Meta-analysis of published randomized, controlled trials. J Neurogastroenterol Motil. 2016;30, 22(3):412-422. DOI: 10.5056/jnm16004

27. Kaufman MB. Pharmaceutical approval update. Pharm Ther. 2019;44(4):178-209.

28. Winter HS, Di Lorenzo C, Benninga MA, et al. Oral prucalopride in children with functional constipation. J Pediatr Gastroenterol Nutr. 2013; 57(2):197-203. DOI: 10.1097/MPG.0b013e318292f9ea

29. Mugie SM, Korczowski B, Bodi P, et al. Prucalopride is no more effective than placebo for children with functional constipation. Gastroenterology. 2014;147(6):1285-95.e1. DOI: 10.1053/j.gastro.2014.09.005

30. Koppen IJ, Lammers LA, Benninga MA, Tabbers MM. Management of functional constipation in children: therapy in practice. Paediatr Drugs. 2015;17(5):349-60. https://doi.org/10. 1007/s40272-015-0142-4

Cecilia Zubiri

Avances en el tratamiento del estreñimiento refractario pediátrico

31. Gordon M, Grafton-Clarke C, Rajindrajith S, Benninga MA, Sinopoulou V, Akobeng AK. Treatments for intractable constipation in childhood. Cochrane Database Syst Rev. 2024;19 (6):CD014580. DOI: 10.1002/14651858.CD014580.pub2. PMID: 38895907; PMCID: PMC11190639.

32. Manini ML, Camilleri M, Grothe R, et al. Application of pyridostigmine in pediatric gastrointestinal motility disorders: a case series. Paediatr Drugs. 2018;20(2):173-180. DOI: 10.1007/ s40272-017-0277-6

33. Soufi-Afshar I, Moghadamnia A, Bijani A, et al. Comparison of pyridostigmine and bisacodyl in the treatment of refractory chronic constipation. Caspian J Intern Med. 2016;7(1):19-24.

34. O'Dea CJ, Brookes JH, Wattchow DA. The efficacy of treatment of patients with severe constipation or recurrent pseudo-obstruction with pyridostigmine. Colorectal Dis. 2010;12(6):540-548. DOI: 10.1111/j.1463-1318.2009.01838.x. PMID: 19508545.

35. Manini ML, Camilleri M, Grothe R, Di Lorenzo C. Application of Pyridostigmine in Pediatric Gastrointestinal Motility Disorders: A Case Series. Paediatr Drugs. 2018;20(2):173-180. DOI: 10.1007/s40272-017-0277-6. PMID: 29243034.

36. Nakajima A, Ishizaki S, Matsuda K, et al. Impact of elobixibat on serum and fecal bile acid levels and constipation symptoms in patients with chronic constipation. J Gastroenterol Hepatol. 2022;37(5):883-890. DOI: 10.1111/jgh.15800

37. Khanna L, Camilleri M. Review article: elobixibat: a novel treatment for chronic constipation. Aliment Pharmacol Ther. 2021;53 (2):234-242. DOI: 10.1111/apt.16143

38. Wong BS, Camilleri M. Elobixibat for the treatment of constipation. Expert Opin Investig Drugs. 2013;22(2):277-284. DOI: 10.1517/13543784.2013.753056

39. Spencer AG, Labonte ED, Rosenbaum DP, et al. Intestinal inhibition of the Na+/H+ exchanger 3 prevents cardiorenal damage in rats and inhibits Na+ uptake in humans. Sci Transl Med. 2014; 12;6 (227):227ra36. DOI: 10.1126/scitranslmed.3007790

40. Chey WD, Lembo AJ, Rosenbaum DP. Efficacy of tenapanor in treating patients with irritable bowel syndrome with constipation: a 12-week, placebo-controlled phase 3 trial (T3MPO-1). Am J Gastroenterol. 2020; 115(2):281-293. DOI: 10.14309/ajg. 0000000000000516

41. Nasher O, Hill RE, Peeraully R, et al. Peristeen© transanal irrigation system for paediatric faecal incontinence: a single centre experience. Int J Pediatr. 2014;2014:954315. DOI: 10.1155/ 2014/ 954315

42. Patel S, Hopson P, Bornstein J, et al. Impact of transanal irrigation device in the management of children with fecal incontinence and constipation. J Pediatr Gastroenterol Nutr. 2020;71(3):292-297. DOI: 10.1097/MPG.0000000000002785

43. Midrio P, Mosiello G, Ausili E, et al. Peristeen® transanal irrigation in paediatric patients with anorectal malformations and spinal cord lesions: a multicentre Italian study. Colorectal Dis. 2016;18 (1):86-93. DOI: 10.1111/codi.13101

44. Baaleman DF, Wegh CAM, Hoogveld MTA, et al. Transanal irrigation in children: treatment success, quality of life, adherence, patient experience, and independence. J Pediatr Gastroenterol Nutr. 2022; 1;75(2):166-172. DOI: 10.1097/MPG. 0000000000003515

45. Koppen IJ, Kuizenga-Wessel S, Voogt HW, et al. Transanal irrigation in the treatment of children with intractable functional constipation. J Pediatr Gastroenterol Nutr. 2017;64 (2):225229. DOI: 10.1097/MPG.0000000000001236

46. Ng J, Ford K, Dalton S, et al. Transanal irrigation for intractable faecal incontinence and constipation: outcomes, quality of life and predicting non-adopters. Pediatr Surg Int. 2015;31(8):729734. DOI: 10.1007/s00383-015-3735-7

47. Pacilli M, Pallot D, Andrews A, et al. Use of Peristeen® transanal colonic irrigation for bowel management in children: a single-center experience. J Pediatr Surg. 2014;49(2):269-272. DOI: 10.1016/j.jpedsurg.2013.11.036

48. Christensen P, Krogh K, Buntzen S, et al. Long-term outcome and safety of transanal irrigation for constipation and fecal incontinence. Dis Colon Rectum. 2009;52(2):286-292. DOI: 10. 1007/DCR.0b013e3181979341

49. Tamvakeras P, Horrobin C, Chang J, et al. Long-term outcomes of transanal irrigation for bowel dysfunction. Cureus. 2023;15(7): e42507. DOI: 10.7759/cureus.42507

50. Hamonet-Torny J, Bordes J, Daviet JC, et al. Long-term transanal irrigation’s continuation at home. Preliminary Study. Ann Phys Rehabil Med. 2013;56(2):134-142. DOI: 10.1016/j.rehab.2013.01.005

51. Baaleman DF, Vriesman MH, Lu PL, et al. Long-term outcomes of antegrade continence enemas to treat constipation and fecal incontinence in children. J Pediatr Gastroenterol Nutr. 2023;1;77(2):191197. DOI: 10.1097/MPG.0000000000003833

52. Koivusalo A, Pakarinen MP, Rintala RJ. Treatment of a leaking ACE conduit with deflux injections. Pediatr Surg Int. 2006;22 (12):1003-1006. DOI: 10.1007/s00383-006-1792-7

53. Sinha CK, Grewal A, Ward HC. Antegrade continence enema (ACE): current practice. Pediatr Surg Int. 2008;24(6):685-688. DOI: 10.1007/s00383-008-2130-z

54. Siddiqui AA, Fishman SJ, Bauer SB, et al. Long-term follow-up of patients after antegrade continence enema procedure. J Pediatr Gastroenterol Nutr. 2011;52(5):574-580. DOI: 10.1097/ MPG. 0b013e3181ff6042

55. Vernamonti JP, Hauck C, Santos EP, Wild LC, Ralls MW, Jarboe MD, Speck KE, Ehrlich PF. Do preoperative factors predict success of antegrade continence enemas in children?. J Pediatr Surg. 2023;58(1):52-55. DOI: 10.1016/j.jpedsurg.2022. 09.029. Epub 2022 Sep 28. PMID: 36307300.

56. Langer JC, Birnbaum E. Preliminary experience with intrasphincteric botulinum toxin for persistent constipation after pull-through for Hirschsprung’s disease. J Pediatr Surg. 1997;32(7):1059-1061. DOI: 10.1016/S0022-3468(97)90399-7

57. Keshtgar AS, Suliman A, Thakkar H, Selim I. Long-term Outcomes of Botulinum Toxin Injection Into the External Anal Sphincters: An Effective New Treatment of Chronic Functional Constipation in Children. J Pediatr Surg. 2025;60(3):162049. DOI: 10.1016/j.jpedsurg.2024.162049. Epub 2024 Oct 29. PMID: 39532580.

58. Zar-Kessler C, Kuo B, Belkind-Gerson J. Botulinum toxin injection for childhood constipation is safe and can be effective regardless of anal sphincter dynamics. J Pediatr Surg. 2018;53(4):693-697. DOI: 10.1016/j.jpedsurg.2017.12.007

59. Baaleman DF, Hallagan A, Halleran DR, et al. Anal botulinum toxin in children with Hirschsprung disease and functional constipation: a prospective cohort study. Eur J Pediatr Surg. 2023;33 (3):241-248. DOI: 10.1055/s-0042-1751048

60. Radwan AB, Gadallah MA, Shahawy MR, et al. Can botulinum toxin help in managing children with functional constipation and obstructed defecation?. J Pediatr Surg. 2021;56(4):750-753. DOI: 10.1016/j.jpedsurg.2020.06.044

Latinoam 2026;56(1):41-56

Cecilia Zubiri

Avances en el tratamiento del estreñimiento refractario pediátrico

61. Walther M, Muller H, Weiss C, et al. A comparative observational study on intrasphincteric injections with botulinum toxin vs. enteral neuromodulation in chronic refractory constipation. BMC Pediatr. 2023;8;23(1):448. DOI: 10.1186/s12887-02304217-5

62. Halleran DR, Lu PL, Ahmad H, et al. Anal sphincter botulinum toxin injection in children with functional anorectal and colonic disorders: a large institutional study and review of the literature focusing on complications. J Pediatr Surg. 2019;54(11):2305–2310. DOI: 10.1016/j.jpedsurg.2019.03.020

63. Radwan AB, Gadallah MA, Shahawy MR, Albagdady AA, Talaat AA. Can botulinum toxin help in managing children with functional constipation and obstructed defecation?. J Pediatr Surg. 2021 Apr;56(4):750-753. DOI: 10.1016/j.jpedsurg.2020.06.044. Epub 2020;3. PMID: 32739102.

64. Engel BT. Clinical biofeedback: A behavioral analysis. Neuroscience & Biobehavioral Reviews Autumn 1981, 3 (5); 397-400. https://doi.org/10.1016/0149-7634(81)90034-8

65. Rao SS, Benninga MA, Bharucha AE, Chiarioni G, Di Lorenzo C, Whitehead WE. ANMS-ESNM position paper and consensus guidelines on biofeedback therapy for anorectal disorders. Neurogastroenterol Motil. 2015;27(5):594-09. DOI: 10.1111/ nmo.12520

66. Koh CE, Young CJ, Young JM, Solomon MJ. Systematic review of randomized controlled trials of the effectiveness of biofeedback for pelvic floor dysfunction. Br J Surg. 2008;95(9):107987. DOI: 10.1002/bjs.6303

67. C.Zubiri, S.Miculan, A. Zosi, G. I. Nanfito, L. Guzman, P. Borobia, R. Bigliardi et al. Recto-Anal Biofeedback Treatment and Quality of Life in Children with Myelomeningocele. Open Journal of Epidemiology, 2019;9:202-212.

68. Cárcamo, L; Aljaro, S; Castro F. et al. Resultados a largo plazo de la rehabilitación del piso pélvico en pacientes con incontinencia fecal. Rev. Cir. 2022;74(1):53-60. DOI: http://dx.doi. org/10.35687/s2452-45492022001152

69. Guerra-Mora, J; Buenrostro-Acebes, J; Erciga-Vergara, N y col. Efectividad del biofeedback en pacientes con incontinencia fecal. Rev Med Inst Mex Seguro Soc. 2015;53(4):472-5.

70. Sulkowski JP, Nacion KM, Deans KJ, et al. Sacral nerve stimulation: a promising therapy for fecal and urinary incontinence and constipation in children. J Pediatr Surg. 2015;50(10):16441647. DOI: 10.1016/j.jpedsurg.2015.03.043

71. Dinning PG, Hunt LM, Arkwright JW, et al. Pancolonic motor response to subsensory and suprasensory sacral nerve stimulation in patients with slow-transit constipation. Br J Surg. 2012;99(7):1002-1010. DOI: 10.1002/bjs.8760

72. Carrington EV, Evers J, Grossi U, et al. A systematic review of sacral nerve stimulation mechanisms in the treatment of fecal incontinence and constipation. Neurogastroenterol Motil. 2014;26 (9):1222-1237. DOI: 10.1111/nmo.12388

73. Dinning PG, Fuentealba SE, Kennedy ML, et al. Sacral nerve stimulation induces pan-colonic propagating pressure waves and increases defecation frequency in patients with slow-transit constipation. Colorectal Dis. 2007;9(2):123-132. DOI: 10.1111/j. 1463-1318.2006.01096.x

74. Knowles CH, Thin N, Gill K, et al. Prospective randomized double-blind study of temporary sacral nerve stimulation in patients with rectal evacuatory dysfunction and rectal hyposensitivity. Ann Surg. 2012;255(4):643-649. DOI: 10.1097/ SLA.0b013e318247d49f

75. Sacral nerve stimulation for the treatment of urinary and fecal incontinence. [cited 2024 Jan 24]. Available from: https:// www.cms.gov/medicare-coverage-database/view/lcd.aspx?lcdid= 39543&ver=5

76. Humphreys MR, Vandersteen DR, Slezak JM, et al. Preliminary results of sacral neuromodulation in 23 children. J Urol. 2006;176(5):2227-2231. DOI: 10.1016/j.juro.2006. 07.013

77. van der Wilt AA, van Wunnik BP, Sturkenboom R, et al. Sacral neuromodulation in children and adolescents with chronic constipation refractory to conservative treatment. Int J Colorectal Dis. 2016;31(8):1459-1466. DOI: 10.1007/s00384-0162604-8

78. Dwyer ME, Vandersteen DR, Hollatz P, et al. Sacral neuromodulation for the dysfunctional elimination syndrome: a 10-year single-center experience with 105 consecutive children. Urology. 2014;84(4):911-917. DOI: 10.1016/j.urology.2014.03.059

79. van Wunnik BP, Peeters B, Govaert B, et al. Sacral neuromodulation therapy: a promising treatment for adolescents with refractory functional constipation. Dis Colon Rectum. 2012;55 (3):278-285. DOI: 10.1097/DCR.0b013e3182405c61

80. Roth TJ, Vandersteen DR, Hollatz P, et al. Sacral neuromodulation for the dysfunctional elimination syndrome: a single center experience with 20 children. J Urol. 2008;180(1):306-311. DOI: 10.1016/j.juro.2008.03.033

81. Vriesman MH, Wang L, Park C, et al. Comparison of antegrade continence enema treatment and sacral nerve stimulation for children with severe functional constipation and fecal incontinence. Neurogastroenterol Motil. 2020;32(8):e13809. DOI: 10.1111/nmo.13809

82. Lu PL, Asti L, Lodwick DL, et al. Sacral nerve stimulation allows for decreased antegrade continence enema use in children with severe constipation. J Pediatr Surg. 2017;52(4):558-562. DOI: 10.1016/j.jpedsurg.2016.11.003

83. Park C, Wang L, Koppen I, et al. Sacral nerve stimulation leads to long term improvement in fecal incontinence and quality of life for children with functional and organic defecation disorders. Neurogastroenterol Motil. 2024;36(9):e14865. DOI: 10.1111/nmo.14865

84. Lu PL, Koppen IJN, Orsagh-Yentis DK, et al. Sacral nerve stimulation for constipation and fecal incontinence in children: longterm outcomes, patient benefit, and parent satisfaction. Neurogastroenterol Motil. 2018; 2;30(2). DOI: 10.1111/nmo.13184

85. Collins B, Norton C, Maeda Y. Percutaneous tibial nerve stimulation for slow transit constipation: a pilot study. Colorectal Dis. 2012;14(4):e165-70. DOI: 10.1111/j.14631318.2011.02820.x

86. Iqbal F, Collins B, Thomas GP, et al. Bilateral transcutaneous tibial nerve stimulation for chronic constipation. Colorectal Dis. 2016;18(2):173-178. DOI: 10.1111/codi.13105

87. Rego RMP, Machado NC, Carvalho MA, et al. Transcutaneous posterior tibial nerve stimulation in children and adolescents with functional constipation: a protocol for an interventional study. Medicine (Baltimore). 2019;98(45):e17755. DOI: 10. 1097/MD.0000000000017755122

88. Velasco-Benitez C, Villamarin E, Mendez M, et al. Efficacy of transcutaneous posterior tibial nerve stimulation in functional constipation. Eur J Pediatr. 2023;182(3):1309-1315. DOI: 10.1007/s00431-022-04798-w

Cecilia Zubiri

89. Yu ZT, Song JM, Qiao L, et al. A randomized, double-blind, controlled trial of percutaneous tibial nerve stimulation with pelvic floor exercises in the treatment of childhood constipation. Am J Gastroenterol. 2023;1;118(3):553-560. DOI: 10.14309/ajg.0000000000002188

90. Bigliardi R, Riera Canales C, Oviedo A, et al. Successful use of transcutaneous parasacral stimulation in a patient with myelomeningocele and fecal incontinence: a case report. JPGN Rep. 2024; 1-4. DOI: 10.1002/jpr3.12152

91. Moore JS, Gibson PR, Burgell RE. Neuromodulation via interferential electrical stimulation as a novel therapy in gastrointestinal motility disorders. J Neurogastroenterol Motil. 2018;30;24(1):19-29. DOI: 10.5056/jnm17071

92. Ng RT, Lee WS, Ang HL, et al. Transcutaneous electrical stimulation (TES) for treatment of constipation in children. Cochrane Database Syst Rev. 2016;11(11):CD010873. DOI: 10.1002/14651858.CD010873.pub4

93. Chase J, Robertson VJ, Southwell B, et al. Pilot study using transcutaneous electrical stimulation (interferential current) to treat chronic treatment-resistant constipation and soiling in children. J Gastroenterol Hepatol. 2005;20(7):1054-1061. DOI: 10.1111/j. 1440-1746.2005.03863.x

94. Yik YI, Ismail KA, Hutson JM, et al. Home transcutaneous electrical stimulation to treat children with slow-transit constipation. J Pediatr Surg. 2012;47(6):1285-1290. DOI: 10.1016/j.jpedsurg. 2012.03.037

95. Clarke MC, Chase JW, Gibb S, et al. Decreased colonic transit time after transcutaneous interferential electrical stimulation in children with slow transit constipation. J Pediatr Surg. 2009; 44 (2):408-412. DOI: 10.1016/j.jpedsurg.2008.10.100

96. Ismail KA, Chase J, Gibb S, et al. Daily transabdominal electrical stimulation at home increased defecation in children with slow-transit constipation: a pilot study. J Pediatr Surg. 2009;44(12):2388-2392. DOI: 10.1016/j.jpedsurg.2009.07. 063

97. Yik YI, Hutson J, Southwell B. Home-based transabdominal interferential electrical stimulation for six months improves paediatric slow transit constipation (STC). Neuromodulation. 2018;21 (7):676-681. DOI: 10.1111/ner.12734

98. Besendörfer M, Kohl M, Schellerer V, et al. A Pilot study of non-invasive sacral nerve stimulation in treatment of constipation in childhood and adolescence. Front Pediatr. 2020;8:169. DOI: 10.3389/fped.2020.00169

99. Levitt MA, Pena A. Surgery and constipation: when, how, yes, or no? J Pediatr Gastroenterol Nutr. 2005 Sep;41 Suppl 1(S1):S58-60. DOI: 10.1097/01.scs.0000180308.02052.b2

100. Levitt MA, Martin CA, Falcone RA Jr., et al. Transanal rectosigmoid resection for severe intractable idiopathic constipation. J Pediatr Surg. 2009;44(6):1285-1290. DOI: 10.1016/j. jpedsurg.2009.02.049

101. Levitt MA, Mathis KL, Pemberton JH. Surgical treatment for constipation in children and adults. Best Pract Res Clin Gastroenterol. 2011;25(1):167-179. DOI: 10.1016/j.bpg.2010.12.007

102. Vilanova-Sanchez A, Levitt MA. Surgical Interventions for Functional Constipation: An Update. Eur J Pediatr Surg. 2020;30(5):413-419. DOI: 10.1055/s-0040-1716729. Epub 2020 Sep 28. PMID: 32987436.

103. Vriesman MH, Koppen IJN, Camilleri M, Di Lorenzo C, Benninga MA. Management of functional constipation in children and adults. Nat Rev Gastroenterol Hepatol. 2020;17(1):21-39. DOI: 10.1038/ s41575-019-0222-y. Epub 2019 Nov 5. PMID: 31690829.

104. Yan Y, Sharma A, Herekar AA, Jimenez E, Hudgi AR, Gu QG, Rao SSC. Translumbosacral Anorectal Magnetic Stimulation Test for Fecal Incontinence. Dis Colon Rectum. 2022; 1;65(1):83-92. DOI: 10.1097/DCR.0000000000002152. PMID: 34670958; PMCID: PMC8665062.

105. Rao SSC, Xiang X, Sharma A, et al. Translumbosacral neuromodulation therapy for fecal incontinence: a randomized frequency response trial. Am J Gastroenterol. 2021;116(1):162170. DOI: 10.14309/ajg.0000000000000766

106. Rao SSC, Lembo A, Chey WD, et al. Effects of the vibrating capsule on colonic circadian rhythm and bowel symptoms in chronic idiopathic constipation. Neurogastroenterol Motil. 2020;32(11): e13890. DOI: 10.1111/nmo.13890

107. Zhu JH, Qian YY, Pan J, et al. Efficacy and safety of vibrating capsule for functional constipation (VICONS): a randomised, double-blind, placebo-controlled, multicenter trial. EClinicalMedicine. 2022;47:101407. DOI: 10.1016/j.eclinm.2022.101407

108. Mahler T. Education and Hypnosis for Treatment of Functional Gastrointestinal Disorders (FGIDs) in Pediatrics. Am J Clin Hypn. 2015;58(1):115-28. DOI: 10.1080/00029157.2015.1033676 PMID: 26046720.

109. Palsson, O.S. Hypnosis Treatment of Gastrointestinal Disorders: A Comprehensive Review of thw Empirical Evidence. American Journal of Clinical Hypnosis 2015;58(2):134-158. DOI: 10.1080/00029157.2015.1039114

110. Mayer, E. A., & Tillisch, K. The brain-gut axis in abdominal pain syndromes. Annual Review of Medicine 2011;62, 381396. DOI: 10.1146/annurev-med-012309-103958

111. Reed-Knight B, Claar RL, Schurman JV, van Tilburg MA. Implementing psychological therapies for functional GI disorders in children and adults. Expert Rev Gastroenterol Hepatol. 2016;10(9):981-4. DOI: 10.1080/17474124.2016.1207524. Epub 2016 Jul 14. PMID: 27356273

112. JA, Benninga MA. Childhood constipation: longitudinal follow-up beyond puberty. Gastroenterology. 2003;125(2):357363. https://pubmed.ncbi.nlm.nih.gov/12891536/

113. Michaud L, Lamblin MD, Mairesse S, Turck D, Gottrand F. Outcome of functional constipation in childhood: a 10-year followup study. Clin Pediatr (Phila). 2009;48(1):26-31. DOI: 10.1177/0009922808320599

114. Bongers ME, van Wijk MP, Reitsma JB, Benninga MA. Longterm prognosis for childhood constipation: clinical outcomes in adulthood. Pediatrics. 2010;126(1):e156-62. https://doi. org/10.1542/peds.2009-1009

115. DiMatteo MR, Giordani PJ, Lepper HS, Croghan TW. Patient adherence and medical treatment outcomes: a meta-analysis. Med Care. 2002;40(9):794-811. DOI: 10.1542/peds.2009-1009

116. Taddeo D, Egedy M, Frappier JY. Adherence to treatment in adolescents. Paediatr Child Health. 2008;13(1):19-24. DOI: 10.1093/pch/13.1.19

117. Milgrom H, Bender B, Ackerson L, Bowry P, Smith B, Rand C. Noncompliance and treatment failure in children with asthma. J Allergy Clin Immunol. 1996;98(6 Pt 1):1051-1057. DOI: 10.1016/s0091-6749(96)80190-4

118. Koppen IJN, van Wassenaer EA, Barendsen RW, Brand PL, Benninga MA. Adherence to Polyethylene Glycol Treatment in Children with Functional Constipation Is Associated with Parental Illness Perceptions, Satisfaction with Treatment, and Perceived Treatment Convenience. J Pediatr. 2018;199:132139.e1. DOI: 10.1016/j.jpeds.2018.03.066

Cecilia Zubiri

♦IMAGEN DEL NÚMERO

Más allá de lo frecuente. Un desafío diagnóstico en dolor abdominal

Tatiana Noemí Uehara · Juan Manuel de Arechavala · Fernanda Dorado · Verónica Eugenia Corvalán · Fernando Bocelo · Betiana Pucci

Clínica Adventista Belgrano.

Ciudad Autónoma de Buenos Aires, Argentina.

Acta Gastroenterol Latinoam 2026;56(1):57-58

Recibido: 07/10/2025 / Aceptado: 03/03/2026 / Publicado online: 31/03/2026 / https://doi.org/10.52787/agl.v56i1.551

Caso clínico

Presentación del caso

Mujer de 36 años, sin antecedentes patológicos, quien presentaba epigastralgia postprandial asociada a saciedad precoz y a pérdida de 7 kg, de 4 semanas de evolución, sin mejoría con inhibidores de la bomba de protones (IBP). Agregó dolor en flanco izquierdo, motivo por el cual consultó a la guardia. En el examen físico presentó dolor durante la palpación de epigastrio y flanco izquierdo, sin defensa ni reacción peritoneal. Refirió mejoría sintomática en decúbito lateral izquierdo. En la evaluación nutricional presentó riesgo de desnutrición en la valoración global subjetiva, con un índice de masa corporal de 21,8 kg/m2. En el laboratorio presentó hemograma, hepatograma, creatinina, amilasa

y lipasa dentro de los valores normales; serologías virales para HCV, HBV y HIV negativas, anticuerpos anti transglutaminsa IgA y antipéptido deaminado de gliadina negativos. El estudio de orina no evidenció hematuria ni proteinuria. Se realizó una videoendoscopía digestiva alta la cual fue normal hasta la segunda porción duodenal. Se tomaron muestras de biopsias gástricas y duodenales que no presentaron hallazgos patológicos relevantes.

Dado que la paciente presentaba dolor abdominal asociado a pérdida de peso, sin mejoría sintomática con IBP, se realizó una tomografía computada de abdomen y pelvis con contraste oral y endovenoso (ver imágenes).

Figura 1. En el corte sagital de la TC de abdomen con contraste se observa la reducción del ángulo aorto-mesentérico de 16,9° 16,9°

Correspondencia:: Tatiana Noemí Uehara Correo electrónico: tatianauehara@hotmail.com

Más allá de lo frecuente. Un desafío diagnóstico ante el dolor abdominal Tatiana Noemí Uehara y col.

Figura 2. En el corte sagital (A) y axial (B) de la TC de abdomen con contraste se observa el estrechamiento del compás aortomesentérico que comprime la tercera porción duodenal

DUODENO A B

Figura 3. En el corte sagital (A) y axial (B) de la TC de abdomen con contraste, se observa el estrechamiento del compás aortomesentérico que comprime la vena renal izquierda

Figura 4. En el corte coronal de la TC de abdomen con contraste, se observa la dilatación retrograda de la vena renal izquierda

¿Cuál es su diagnóstico? Solución del caso en la página 119

Semaglutida y enfermedad hepática grasa asociada a disfunción metabólica: una revisión sistemática

Walter Masson1 · Carla Solís2 · Juan Patricio Nogueira2

1Hospital Italiano de Buenos Aires, Ciudad Autónoma de Buenos Aires, Argentina. 2Centro de Investigación en Endocrinología, Nutrición y Metabolismo, Facultad de Ciencias de la Salud, Universidad Nacional de Formosa. Provincia de Formosa. Argentina.

Acta Gastroenterol Latinoam 2026;56(1):59-70

Recibido: 16/01/2026 / Aceptado: 05/03/2026 / Publicado online: 31/03/2026 / https://doi.org/10.52787/agl.v56i1.591

Resumen

Introducción. La enfermedad hepática grasa asociada a disfunción metabólica (MAFLD) y la esteatohepatitis asociada a disfunción metabólica (MASH) presentan una elevada prevalencia y constituyen un importante problema de salud pública. Objetivo. Realizar una revisión sistemática actualizada de ensayos clínicos aleatorizados que evaluaron el impacto de la semaglutida en los desenlaces hepáticos en pacientes con MAFLD/MASH. Materiales y métodos. Se efectuó una búsqueda sistemática en la literatura de acuerdo con las guías PRISMA. Se incluyeron ensayos clínicos aleatorizados, controlados con placebo, que

evaluaron el efecto de la semaglutida sobre desenlaces hepáticos en pacientes con MAFLD/MASH, utilizando parámetros histológicos y/o métodos de diagnóstico por imágenes. Resultados. Los estudios analizados sugieren un beneficio de la semaglutida frente al placebo en los desenlaces hepáticos. En cuanto al evento resolución de la MASH sin empeoramiento de la fibrosis, observamos concordancia entre los estudios que incluyeron biopsia hepática. Al evaluar la mejoría de la fibrosis sin empeoramiento de la MASH, los resultados no fueron uniformes. Los estudios que evaluaron imágenes mostraron un beneficio consistente de la semaglutida sobre la esteatosis hepática. Sin embargo, los estudios no lograron demostrar cambios significativos en la rigidez hepática. Diferencias en el tamaño muestral, el tiempo de seguimiento y las poblaciones analizadas podrían explicar estas discrepancias. Conclusión. El uso de semaglutida en pacientes con MAFLD/MASH se asoció con mejoras en variables relacionadas con la esteatosis y, en menor medida, con cambios en marcadores de fibrosis. Estos hallazgos deberán confirmarse en estudios de mayor envergadura y con mayores tiempos de seguimiento.

Correspondencia: Walter Masson

Correo electrónico: walter.masson@hospitalitaliano.org.ar

Palabras claves. Enfermedad hepática grasa asociada a disfunción metabólica, esteatohepatitis asociada a disfunción metabólica, semaglutida.

Semaglutida y enfermedad hepática grasa asociada a disfunción metabólica

Semaglutide and Metabolic Dysfunction–Associated Fatty Liver Disease: A Systematic Review

Summary

Introduction. Metabolic dysfunction–associated fatty liver disease (MAFLD) and metabolic dysfunction–associated steatohepatitis (MASH) are highly prevalent conditions and represent a major public health problem. Objective. To conduct an updated systematic review of randomized controlled trials evaluating the impact of semaglutide on hepatic outcomes in patients with MAFLD/MASH. Materials and methods. A systematic literature search was performed in accordance with PRISMA guidelines. Randomized, placebo-controlled clinical trials assessing the effect of semaglutide on hepatic outcomes in patients with MAFLD/ MASH were included, using histological parameters and/ or imaging methods. Results. The analyzed studies suggest a benefit of semaglutide compared with placebo in hepatic outcomes. Regarding the outcome of MASH resolution without worsening of fibrosis, consistent results were observed among studies that included liver biopsy. However, when evaluating fibrosis improvement without worsening of MASH, the results were heterogeneous. Imaging studies demonstrated a consistent benefit of semaglutide on hepatic steatosis. Nevertheless, no significant changes in liver stiffness were demonstrated. Differences in sample size, follow-up duration, and analyzed populations may explain these discrepancies. Conclusion. The use of semaglutide in patients with MAFLD/MASH was associated with improvements in variables related to hepatic steatosis and, to a lesser extent, with changes in fibrosis markers. These findings should be confirmed in larger studies with longer follow-up periods.

Keywords. Metabolic dysfunction-associated fatty liver disease, metabolic dysfunction-associated steatohepatitis, semaglutide.

Abreviaturas

MAFLD (Metabolic Dysfunction-Associated Fatty Liver Disease): Enfermedad hepática grasa asociada a disfunción metabólica.

MASH (Metabolic dysfunction-associated steatohepatitis): Esteatohepatitis asociada a disfunción metabólica.

DM2: Diabetes mellitus tipo 2.

GLP-1RA (GLP-1 receptor agonists): Agonista del receptor del péptido similar al glucagón tipo 1.

OR: Odds ratio.

IC: Intervalo de confianza.

MRI-PDFF (Magnetic resonance imaging derived proton density fat fraction): Resonancia magnética con fracción de grasa por densidad de protones.

MRE (Magnetic Resonance Elastography): Elastografía por resonancia magnética.

UH: Unidades Hounsfield.

Introducción

La MAFLD afecta aproximadamente a un tercio de la población mundial y representa un importante problema de salud pública.¹ La enfermedad abarca un espectro que se inicia con la esteatosis simple y, si no es tratada, puede progresar a MASH, fibrosis, cirrosis y carcinoma hepatocelular.2 Los principales factores de riesgo cardiometabólicos, particularmente la DM2, la dislipemia y la obesidad, coexisten con frecuencia con la MAFLD y contribuyen a una progresión más acelerada de la enfermedad. En pacientes con DM2 y obesidad, su prevalencia puede superar el 65% y el 70%, respectivamente.3-4

La semaglutida es un potente GLP-1RA, ampliamente utilizada en el tratamiento de la DM2, con beneficios cardiovasculares demostrados.5 En la actualidad, se encuentra disponible en formulaciones para administración oral y subcutánea.6 Asimismo, el empleo de dosis más elevadas de semaglutida se ha asociado con una reducción significativa del peso corporal en pacientes con sobrepeso u obesidad.7 Más recientemente, los beneficios cardiovasculares del uso de dosis altas de semaglutida también se han evidenciado en pacientes con sobrepeso u obesidad y alto riesgo cardiovascular, aún en ausencia de DM2.8

Dado que la patogénesis de la MAFLD se encuentra estrechamente vinculada a la disfunción metabólica y a la resistencia a la insulina, y que la enfermedad cardiovascular constituye la principal causa de mortalidad en estos pacientes, se postula que los agentes capaces de mejorar el perfil de riesgo cardiometabólico podrían también impactar favorablemente en los desenlaces relacionados con MAFLD.9

Diversos estudios aleatorizados han evaluado el impacto de la semaglutida en pacientes con MAFLD, analizando distintos desenlaces hepáticos mediante técnicas de diagnóstico por imágenes y evaluación histológica por

Walter Masson y col.

Semaglutida y enfermedad hepática grasa asociada a disfunción metabólica

Walter Masson y col.

Considerando lo previamente expuesto, el objetivo de este trabajo fue llevar a cabo una revisión sistemática actualizada de ensayos clínicos aleatorizados que evaluaron el impacto de la semaglutida en los desenlaces hepáticos en pacientes con MAFLD/MASH.

Materiales y métodos

Fuentes de datos. La presente revisión sistemática se llevó a cabo de acuerdo con las recomendaciones de la guía Preferred Reporting Items for Systematic Reviews and Meta-Analyses (PRISMA).21 Asimismo, el protocolo fue registrado en la base de datos PROSPERO, CRD420261285774.

Se realizó una búsqueda sistemática en la literatura con el objetivo de identificar estudios que evaluaran el impacto de la semaglutida en parámetros hepáticos en pacientes con MAFLD/MASH. Dos autores realizaron la búsqueda de manera independiente en las siguientes bases de datos electrónicas: PubMed/ MEDLINE, Scielo, Latindex, LILACS y la Biblioteca Cochrane. En PubMed/MEDLINE, la estrategia de búsqueda se basó en la combinación de términos MeSH y palabras claves en inglés, incluyendo Fa tty Liver, Non-alcoholic Fatty Liver Disease , MAFLD y MASH, junto con términos relacionados con los GLP-1RA, tales como Glucagon-Like Peptide 1 Receptor Agonists y semaglutida . Los términos se combinaron mediante operadores booleanos de la siguiente manera: ("Fatty Liver ”[MeSH] OR Non-alcoholic Fatty Liver Disease [MeSH] OR MAFLD[tiab] OR MASH[tiab]) AND ( Glucagon-Like Peptide 1 Receptor Agonists [MeSH] OR semaglutida [tiab]). En la Biblioteca Cochrane, las búsquedas se efectuaron en la base de datos CENTRAL, que indexa específicamente ensayos clínicos aleatorizados y controlados. Los términos utilizados fueron ( Non-alcoholic Fatty Liver Disease OR MAFLD) AND (semaglutida) . En LILACS se realizaron búsquedas en texto libre utilizando combinaciones, tales como: Non-alcoholic Fatty Liver Disease o MAFLD y semaglutida . En Scielo y Latindex, dado el menor volumen de publicaciones

indexadas en estas bases y con el fin de maximizar la sensibilidad, se realizó una búsqueda amplia utilizando únicamente el término semaglutida o «semaglutida», seguida de una revisión manual para identificar estudios que evaluaran desenlaces hepáticos en pacientes con enfermedad hepática grasa. Todas las búsquedas en las bases de datos se hicieron al 30 de diciembre de 2025. Asimismo, se exploró la literatura gris, incluyendo clinicaltrials.gov, presentaciones en congresos e información disponible en los sitios web de los laboratorios correspondientes. Adicionalmente, se empleó una estrategia de búsqueda en cascada (snowballing) para identificar estudios relevantes adicionales.

Criterios de inclusión y exclusión. Se establecieron como criterios de inclusión: (a) ensayos clínicos aleatorizados, controlados con placebo, que evaluaron el efecto de la semaglutida en pacientes adultos con MAFLD/MASH. Los análisis post hoc de ensayos aleatorizados también fueron analizados; (b) estudios con un seguimiento mínimo de 3 meses; y (c) estudios que evaluaron al menos un parámetro de esteatosis hepática y/o fibrosis como desenlace. Para la presente revisión se excluyeron aquellos estudios que analizaron exclusivamente enzimas hepáticas como desenlace clínico asociado a la enfermedad hepática, debido a su carácter inespecífico.

No se aplicaron restricciones idiomáticas, geográficas ni de fecha de publicación. Se excluyeron los estudios que evaluaron semaglutida en combinación con otras terapias sin un grupo control con placebo. Asimismo, se excluyeron los estudios no aleatorizados, cuasiexperimentales u observacionales.

Extracción de datos y evaluación de sesgo. Dos investigadores, de forma independiente, extrajeron información sobre el diseño del estudio, las características basales de la población, los criterios diagnósticos de MAFLD y otros aspectos metodológicos relevantes. Las discrepancias se resolvieron por consenso. El desenlace primario de interés fue el cambio en los parámetros hepáticos informados en cada estudio, incluyendo variables relacionadas con el análisis histológico o técnicas de imagen.

Para evaluar el riesgo de sesgo de los estudios incluidos se utilizó la herramienta RoB 2, que analiza cinco dominios de sesgo y los clasifica como «bajo riesgo», «alto riesgo» o «algunas preocupaciones», asignando un juicio global para cada estudio.22 La evaluación fue realizada de manera independiente por dos autores y, en biopsia.10-16 Una revisión sistemática previa de la semaglutida incluyó estudios cuasiexperimentales y ensayos en los que el comparador no fue placebo sino otros fármacos, sin incorporar los estudios más recientes publicados con este agente farmacológico.17 Asimismo, otros metaanálisis han evaluado el efecto de los GLP-1RA en forma conjunta, incluyendo un número limitado de pacientes tratados específicamente con semaglutida.18 - 20

Semaglutida y enfermedad hepática grasa asociada a disfunción metabólica

caso de discrepancias, éstas se resolvieron mediante la intervención de un tercer revisor.

Análisis de los datos. Debido al número limitado de estudios identificados y a la heterogeneidad observada entre ellos - en términos de las poblaciones evaluadas, los métodos de medición de los parámetros hepáticos, los regímenes de semaglutida utilizados, y la forma de presentación de los resultados - no fue posible realizar un análisis cuantitativo de tres o más estudios para algunos desenlaces mediante metaanálisis.

Evaluación de la certeza de la evidencia. La certeza del cuerpo de evidencia para los desenlaces principales se evaluó utilizando el enfoque GRADE (Grading of Recommendations Assessment, Development and Evaluation)

Resultados

Iden ficación

Tamizaje

Elegibilida d

Walter Masson y col.

Inclusión

Registros iden ficados mediante la búsqueda en bases de datos (n = 430)

Tras el cribado por título y resumen, se identificaron 438 artículos potencialmente relevantes. De ellos, 398 fueron excluidos por tratarse de publicaciones duplicadas o por no abordar el objetivo del presente estudio. Luego de una lectura detallada de los artículos restantes, se excluyeron 33 estudios adicionales por no reportar la exposición o el evento de interés. Finalmente, se incluyeron 7 estudios, que en conjunto comprendieron 3807 individuos, y fueron considerados elegibles para esta revisión sistemática. El diagrama de flujo correspondiente al proceso de selección de estudios se presenta en la Figura 1.

Las características de las poblaciones incluidas en los estudios seleccionados se detallan en la Tabla 1.

Registros adicionales iden ficados a través de otras fuentes (n = 8)

Registros excluidos tras la evaluación por tulo y resumen lrrelevantes (n = 340) Duplicados (n = 58)

Ar culos a texto completo evaluados para elegibilidad (n = 40)

Estudios incluidos en el análisis cualita vo (n = 7)

Ar culos a texto completo excluidos (n = 33)

- Metaanálisis o revisiones sistemá cas.

- Ausencia de grupo placebo.

- Exposición de interés no reportada.

- Eventos de interés no reportados

Figura 1. Diagrama de flujo correspondiente al proceso de selección de estudios

Semaglutida y enfermedad hepática grasa asociada a disfunción metabólica

Walter Masson y col.

Tabla 1. Principales características de los ensayos clínicos aleatorizados y controlados con placebo incluidos en la revisión sistemática

Estudio (año) n Población

Newsome (2021)10 320 Pacientes de 18 a 75 años, con un IMC > 25 kg/m², MASH confirmada por biopsia y fibrosis hepática en estadio F1, F2 o F3, así como un puntaje NAS ≥ 4.

Edad media 55 años, 61% mujeres y 62% DM2. IMC medio 35,8 kg/m².

Esquema de Seguimiento Principales eventos semaglutide (semanas) hepáticos evaluados

0,1 mg; 0,2 mg o 0,4 mg SC una vez por día.

Flint (2021)11

Loomba (2023)12

67 Pacientes de 18 a 75 años, con un IMC entre 25 y 40 kg/m², rigidez hepática de 2,50 a 4,63 kPa medida mediante MRE y > 4,0 kPa evaluada por elastografía (FibroScan®).

Edad media 60 años, 70% hombres, 94% obesos y 73% DM2.

71 Pacientes de 18 a 75 años con cirrosis asociada a MASH confirmada histológicamente y un IMC de 27 kg/m² o superior. Edad media 59,5 años; 69% mujeres y 75% DM2. IMC medio 34,9 kg/m².

0,4 mg SC una vez por día.

72 Resolución de la MASH,* sin empeoramiento de la fibrosis hepática.** Mejoría de al menos un estadio de fibrosis sin empeoramiento de la MASH.***

72 Variación de la rigidez hepática evaluada mediante MRE. Variación en el contenido de grasa hepática medido por MRI-PDFF.

2,4 mg SC una vez por semana.

Ratziu (2024)13

Schattenberg (2025)14

251 Análisis post-hoc del estudio de Newsome y col.10 Pacientes de 18 a 75 años, con un IMC > 25 kg/m², MASH confirmada por biopsia y fibrosis hepática en estadio F1, F2 o F3, así como un puntaje NAS ≥ 4.

STEP1: 1307; STEP2: 643; SemaMASH: 234.

Análisis post-hoc de tres estudios.

STEP 1: pacientes con sobrepeso/obesidad; STEP 2: pacientes con sobrepeso/obesidad y DB2; Sema-MASH trial: pacientes con MASH confirmada por biopsia y fibrosis hepática en estadios F1 – F3.

Sanyal (2025)15 800 Pacientes ≥ 18 años con MASH documentada histológicamente y fibrosis hepática estadio 2 o 3, así como un puntaje NAS ≥ 4. Edad media 56 años, 57,1% mujeres y 55,9% DM2. IMC medio 34,6 kg/m².

Golub (2025)16

114 Pacientes ≥ 40 años con DM2, con al menos un factor de riesgo cardiovascular adicional, y presencia de aterosclerosis coronaria conocida (evaluada mediante imágenes) o por antecedente clínico de enfermedad cardiovascular aterosclerótica. Edad media 57,8 años, 61% hombres. IMC medio 32 kg/m².

0,1 mg; 0,2 mg o 0,4 mg SC una vez por día.

STEP 1: 2,4 mg SC una vez por semana.

STEP 2: 1 mg y 2,4 mg SC una vez por semana. Sema-MASH: 0,1 mg; 0,2 mg o 0,4 mg SC una vez por día.

2,4 mg SC una vez por semana.

78 Mejoría de al menos un estadio de fibrosis** sin empeoramiento de la MASH.***

Variación en el contenido de grasa hepática medido por MRI-PDFF y el cambio en la rigidez hepática evaluado mediante MRE.

72 Cambios en la fibrosis, la esteatosis, la inflamación y el balonamiento hepatocitario cuantificados por un modelo basado en aprendizaje automático (machine learning).

68-72 Componentes de MASH derivados de SomaSignal, basados en perfiles proteómicos séricos no invasivos.

0,5/1 mg SC una vez por semana.

72 Resolución de la MASH,* sin empeoramiento de la fibrosis hepática.** Mejoría de al menos un estadio de fibrosis sin empeoramiento de la MASH.***

52 TC (atenuación en unidades Hounsfield) para cuantificación de grasa hepática.

DM2: diabetes mellitus tipo 2; IMC: índice de masa corporal; MASH: esteatohepatitis asociada a disfunción metabólica; MRI-PDFF: fracción de grasa por densidad de protones por resonancia magnética; MRE: elastografía por resonancia magnética; NAS: índice de actividad de NAFLD; SC: subcutánea; TC: tomografía computada.

*Definida por la NASH Clinical Research Network como inflamación residual ausente o leve (puntaje 0 – 1) y ausencia de balonización hepatocitaria (puntaje 0).

**Definido como un incremento de un estadio o más según la escala de fibrosis de Kleiner.

***Definido como un incremento de ≥ 1 punto en el puntaje de inflamación lobulillar o en el de balonización hepatocitaria, de acuerdo con los criterios de la NASH Clinical Research Network

Semaglutida y enfermedad hepática grasa asociada a disfunción metabólica

De acuerdo con la evaluación del riesgo de sesgo mediante la herramienta RoB 2, tres estudios fueron clasificados como de bajo riesgo, tres presentaron algunas preocupaciones y uno fue considerado con alto riesgo de sesgo. Este último correspondió al estudio de Flint y col.,11 en el cual los dominios con mayor riesgo fueron el dominio 4 (medición del desenlace) y el dominio 5 (selección del resultado informado). En el dominio 4, no se especificó si los evaluadores de las imágenes (MRE/ MRI-PDFF) estaban cegados respecto de la secuencia cronológica de las intervenciones, lo que podría haber introducido sesgo en la medición. En el dominio 5, el desenlace primario (rigidez hepática) no mostró diferen-

Walter Masson y col.

cias significativas; posteriormente, se reportaron análisis adicionales sin ajuste por comparaciones múltiples, lo que genera preocupaciones respecto de la selección del resultado informado. La evaluación global de la calidad metodológica de los estudios incluidos se presenta en la Figura 2 y en la Tabla suplementaria 1.

Se realizó un análisis GRADE para los dos desenlaces considerados más relevantes: resolución de la MASH sin empeoramiento de la fibrosis y mejoría de la fibrosis sin empeoramiento de la MASH. La certeza de la evidencia fue moderada para el primero y baja para el segundo. Los resultados detallados se presentan en la Tabla suplementaria 2.

2. Evaluación del riesgo de sesgo de los estudios incluidos

Dominios para la evaluación del riesgo de sesgos

D1 D2 D3 D4 D5 General

Newsome (2021)

Flint(2021)

Loomba(2023)

Estudios Evaluación

Sanyal (2025)

Ratziu (2024)

Scha enberg (2025)

Golub (2025)

Dominios

D1: Sesgo que surge de la aleatorización.

D2: Sesgo de la desviación imprevista de la intervención

D3: Sesgo debido a la pérdida de resultados.

D4: Sesgo en la medición de resultados.

D5: Sesgo en la selección del resultado informado.

Figura

Semaglutida y enfermedad hepática grasa asociada a disfunción metabólica

Tabla suplementaria 1. Matriz de evaluación de riesgo de sesgo

Estudio D1

D2

D3

D4

Walter Masson y col.

D5 General

Sesgo que surge Sesgo de la Sesgo debido Sesgo en la Sesgo en la de la aleatorización desviación imprevista a la pérdida de medición selección del de la intervención resultados de resultados resultado informado

Newsome (2021) Bajo Bajo Bajo Bajo Bajo Bajo

Flint (2021) Bajo Bajo Bajo Alto Alto Alto

Loomba (2023) Bajo Bajo Bajo Algunas Algunas Algunas preocupaciones preocupaciones preocupaciones

Sanyal (2025) Bajo Bajo Bajo Bajo Bajo Bajo

Ratziu (2024) Bajo Bajo

Algunas Algunas Bajo Algunas preocupaciones preocupaciones preocupaciones

Schattenberg (2025) Bajo Bajo Bajo Algunas Bajo Algunas preocupaciones preocupaciones

Golub (2025) Bajo Bajo Bajo Bajo Bajo Bajo

Tabla suplementaria 2. Análisis GRADE

Desenlace N° de estudios Riesgo de Inconsistencia

Evidencia Imprecisión Sesgo de Certeza global (tipo) sesgo indirecta publicación (GRADE)

Resolución de la 2 ECA No serio

No seria No seria Moderada No evaluable Moderada* MASH sin (efecto consistente formalmente; empeoramiento a favor de no se identificaron de la fibrosis. semaglutida) señales claras

Mejoría de la 3 ECA No serio

Seria

No evaluable Baja** fibrosis sin (resultados variables formalmente; empeoramiento entre estudios) no se identificaron de la MASH. señales claras

No seria Moderada

ECA: ensayo clínico aleatorizado; MASH: esteatohepatitis asociada a disfunción metabólica.

*Se baja un nivel por imprecisión en el estudio de Newsome (intervalos de confianza amplios, efecto marcado en rama placebo). **Se baja un nivel por inconsistencia de los resultados entre los estudios (Newsome, Loomba y Sanyal) y otro nivel por imprecisión (tamaño muestral pequeño en Loomba).

Estudios basados en la biopsia hepática

En un ensayo clínico en fase 2, aleatorizado y doble ciego, que incluyó pacientes con MASH confirmada por biopsia y fibrosis hepática en estadios F1 a F3, el tratamiento con semaglutida subcutánea diaria durante 72 semanas se asoció con una tasa significativamente mayor de resolución de la MASH sin empeoramiento de la fibrosis en comparación con placebo, especialmente con la dosis de 0,4 mg (59% vs. 17%; OR 6,87; IC del 95%: 2,60 - 17,63; p < 0,001).10 En contraste, la diferencia entre el grupo tratado con semaglutida 0,4 mg y el grupo placebo en la proporción de pacientes que lograron una mejoría de al menos un estadio de fibrosis sin empeoramiento de la MASH no fue estadísticamente significativa (43% vs. 33%; OR 1,42; IC 95%: 0,62 – 3,28; p = 0,48). Entre todos los pacientes aleatorizados, el empeoramiento de la fibrosis se observó en el 10%, 8%

y 5% de los pacientes tratados con semaglutida 0,1 mg, 0,2 mg y 0,4 mg, respectivamente, en comparación con el 19% en el grupo placebo. Asimismo, la proporción de pacientes que alcanzaron simultáneamente la resolución de la MASH y una mejoría del estadio de fibrosis fue mayor en el grupo de semaglutida 0,4 mg en comparación con placebo (37% vs. 15%). En un análisis post hoc de este ensayo, se comparó la evaluación histológica convencional realizada por patólogos con un modelo de patología digital basado en aprendizaje automático.13 La evaluación mediante inteligencia artificial identificó una proporción significativamente mayor de pacientes que alcanzaron la resolución de la MASH sin empeoramiento de la fibrosis con semaglutida 0,4 mg en comparación con placebo (36,9% vs. 11,9%; p = 0,0015). Asimismo, se observó una tendencia estadísticamente no significativa hacia una mayor

Semaglutida y enfermedad hepática grasa asociada a disfunción metabólica

proporción de pacientes con mejoría de la fibrosis sin empeoramiento de la MASH en el grupo tratado con dicho esquema (32,3% vs. 20,3%; p = NS).

Loomba y col. publicaron un ensayo clínico en fase 2, aleatorizado, doble ciego y controlado con placebo, realizado en pacientes con cirrosis compensada asociada a MASH confirmada por biopsia.12 En este estudio, no se observaron diferencias estadísticamente significativas entre los grupos en la proporción de pacientes que alcanzaron una mejoría de al menos un estadio de fibrosis hepática sin empeoramiento de la MASH a las 48 semanas [5 (11%) de 47 pacientes en el grupo tratado con semaglutida frente a 7 (29%) de 24 pacientes en el grupo placebo; OR 0,28; IC del 95%: 0,06 - 1,24; p = 0,087].

Finalmente, un ensayo clínico en fase 3, multicéntrico, aleatorizado, doble ciego y controlado con placebo, que incluyó pacientes con MASH confirmada por biopsia y fibrosis hepática en estadios F2 – F3, el tratamiento con semaglutida subcutánea semanal con una dosis de 2,4 mg se asoció con una mejoría significativa de los desenlaces histológicos hepáticos en comparación con placebo. 15 A las 72 semanas, la resolución de la MASH sin empeoramiento de la fibrosis se observó en el 62,9% de los pacientes tratados con semaglutida frente al 34,3% del grupo placebo ( p < 0,001). Asimismo, la reducción de la fibrosis hepática sin empeoramiento de la MASH ocurrió en el 36,8% de los pacientes del grupo semaglutida y en el 22,4% del grupo placebo ( p < 0,001). El desenlace combinado de resolución de la MASH y mejoría de la fibrosis se alcanzó en el 32,7% frente al 16,1%, respectivamente ( p < 0,001).

Estudios basados en métodos de diagnóstico por imágenes Flint y col. desarrollaron un ensayo clínico aleatorizado, doble ciego y controlado con placebo, para evaluar los efectos de semaglutida sobre la rigidez hepática y la esteatosis en pacientes con MAFLD mediante métodos no invasivos por resonancia magnética.11 Un total de 67 sujetos con esteatosis hepática cuantificada mediante MRI-PDFF y rigidez hepática leve a moderada evaluada por (MRE fueron asignados a semaglutida 0,4 mg/día o placebo durante 48 semanas. La semaglutida no produjo una reducción significativa de la rigidez hepática (estimada mediante MRE) en comparación con placebo (razón media estimada respecto al valor basal fue de 0,94 para semaglutida y de 0,98 para placebo, p = 0,2798). Sin embargo, según la evaluación por MRI-PDFF, el contenido de grasa hepática se redujo respecto al valor basal en el grupo tratado con semaglutida a lo largo del

estudio. Las razones medias estimadas en relación con el valor basal para semaglutida frente a placebo fueron significativamente diferentes a las 48 semanas [0,42 vs. 0,89 (p < 0,0001)].

Resultados similares fueron reportados por el estudio de Loomba y col. previamente citado.12 En este caso, en la semana 48, el cambio en la rigidez hepática (evaluada mediante MRE) respecto al valor basal no fue significativamente diferente entre los grupos semaglutida y placebo (razón de tratamiento estimada 0,93; IC 95%: 0,80 – 1,07; p = 0,30). En contraste, la mejoría de la esteatosis hepática (evaluada mediante MRIPDFF) respecto al valor basal fue significativamente mayor en el grupo tratado con semaglutida en comparación con placebo (razón de tratamiento estimada 0,67; IC 95%: 0,51 – 0,88; p = 0,0042).

En el ensayo clínico aleatorizado STOP, realizado en pacientes con DM2, se evaluó el efecto de la semaglutida sobre el contenido graso hepático utilizando tomografía computada sin contraste.16 En un subanálisis de 114 participantes con esteatosis hepática, el tratamiento con semaglutida durante 12 meses se asoció con una mejoría significativa del contenido graso hepático en comparación con placebo, evaluada mediante atenuación hepática en UH. Tras el ajuste por múltiples variables clínicas y metabólicas, la semaglutida mostró una mejoría promedio de 4,4 UH en la atenuación hepática respecto a placebo (p = 0,002), lo que indica una reducción significativa de la esteatosis hepática.

Estudios basados en perfiles proteómicos séricos no invasivos

En un análisis post hoc de los ensayos STEP 1 y STEP 2, y del estudio en fase 2b Sema-MASH, se evaluó el efecto de semaglutida 2,4 mg sobre componentes de la MAFLD/MASH utilizando SomaSignal, un panel proteómico basado en la medición de aptámeros en suero (SomaLogic, Boulder, CO, EE. UU.)15 A la semana 68, tanto en el análisis de probabilidades de predicción continuas como en la clasificación binaria, el tratamiento con semaglutida se asoció con una menor probabilidad de presentar componentes de MASH definidos por SomaSignal al final del estudio en comparación con placebo. En STEP 1, la semaglutida 2,4 mg mostró efectos significativos sobre todos los componentes evaluados, con un mayor impacto en la esteatosis, seguida de la inflamación lobulillar, el balonamiento hepatocitario y la fibrosis. En STEP 2 se observaron tamaños de efecto similares, con un patrón dosis-dependiente al comparar las dosis de 1,0 mg y 2,4 mg. Los OR de presentar

Walter Masson y col.

Semaglutida y enfermedad hepática grasa asociada a disfunción metabólica

un estadio menos grave de MAFLD fueron de 5,26 (IC 95%: 3,59 – 7,72) para el estudio STEP 1 y 4,90 (IC 95%: 2,86 – 8,40) para el estudio STEP-2. Los hallazgos fueron concordantes con los resultados del estudio en fase 2b Sema-MASH, en el que se dispuso además de evaluación histológica.

Discusión

En esta revisión sistemática se evaluó la evidencia actual proveniente de ensayos clínicos aleatorizados sobre el uso de semaglutida en pacientes con MAFLD/MASH, con especial énfasis en su impacto en los principales parámetros hepáticos reportados.

Las modificaciones del estilo de vida continúan siendo el pilar fundamental en el manejo de la MAFLD/MASH y se recomiendan para todos los individuos afectados por esta condición. Sin embargo, la complejidad de su abordaje radica en la ausencia de tratamientos farmacológicos específicos modificadores de la enfermedad bien establecidos y con eficacia demostrada. En este contexto, la aparición de fármacos con mecanismos de acción multitarget, como la semaglutida, que impactan sobre múltiples variables metabólicas, inflamatorias y vasculares, podría tener un interés particular en este grupo de pacientes.23 De hecho, si bien los efectos beneficiosos de los GLP-1RA sobre el hígado estarían mediados por múltiples vías, aparentemente no se deben a efectos directos sobre los hepatocitos, los cuales carecen de receptores de GLP-1.24 El papel de la resistencia a la insulina en la disfunción metabólica observada en la obesidad, la DM2, la dislipidemia aterogénica e hipertensión actúan como un factores claves en la historia natural del MAFLD al promover la glucotoxicidad y la lipotoxicidad.25 En este contexto, el efecto sobre la resistencia a la insulina, el control glucémico y la reducción de lipotoxicidad observado con semaglutida podría explicar, al menos en parte, su efecto hepatoprotector. En relación con la lipotoxicidad, es importante destacar que los GLP-1RA reducen los niveles de ácidos grasos libres, activan la lipoproteína lipasa y disminuyen la secreción de apolipoproteína B, un mecanismo clave para la reducción de la esteatosis hepática y del riesgo cardiovascular.26 Asimismo, el beneficio de los GLP-1RA sobre el hígado se encuentra estrechamente relacionado con la magnitud de la pérdida de peso.27 - 28 Por otro lado, el efecto antiinflamatorio podría ser uno de los mecanismos mediante los cuales la semaglutida podría modificar las variables hepáticas relacionadas con la esteatosis y la fibrosis.29 -3 0

En términos generales, los resultados de nuestra revi-

sión sistemática sugieren un beneficio de la semaglutida frente al placebo en los desenlaces hepáticos. No obstante, en algunos aspectos se observaron efectos neutros. La heterogeneidad en los tamaños muestrales, los diferentes criterios de inclusión utilizados, los métodos empleados para definir los eventos, los tiempos de seguimiento y las dosis de semaglutida utilizadas podrían haber influido, en mayor o menor medida, en los resultados y contribuir a explicar las discrepancias observadas. En cuanto al evento resolución de la MASH sin empeoramiento de la fibrosis, parece haber concordancia entre los estudios que incluyeron un análisis histológico.10, 13, 15 Sin embargo, al evaluar el punto final de mejoría de la fibrosis sin empeoramiento de la MASH, los resultados no fueron uniformes. Los estudios reportados por Newsome y col.10 y su análisis post hoc mediante inteligencia artificial13 no lograron demostrar una diferencia estadísticamente significativa, aunque sí evidenciaron una clara tendencia a favor de la semaglutida. Además, entre todos los pacientes aleatorizados, el empeoramiento de la fibrosis se presentó de manera decreciente según la dosis de semaglutida y fue menor que en el grupo placebo. Un aspecto relevante de estos dos estudios es que se emplearon dosis diarias de semaglutida. Esta formulación fue una prueba piloto antes de consolidar la formulación semanal, actualmente estándar en DM2 y obesidad.31 Aunque los esquemas diarios pueden alcanzar exposiciones acumuladas similares a las dosis semanales actualmente utilizadas, no serían completamente equivalentes. El estudio publicado por Sanyal y col.15 sí evidenció un beneficio significativo en este punto final primario, utilizando una dosis de 2,4 mg/ semana de semaglutida y con un tamaño muestral mayor. En contraste, el estudio de Loomba y col.12 no mostró diferencias al utilizar el mismo esquema farmacológico, aunque contaba con una muestra mucho más reducida, un tiempo de seguimiento menor y, fundamentalmente, con una población basalmente más comprometida, ya que incluyó pacientes con fibrosis avanzada frente a los pacientes con F2-F3 del estudio anterior.

Los estudios que evaluaron imágenes en pacientes con MASH mostraron un beneficio consistente de la semaglutida sobre la esteatosis hepática evaluada mediante MRI-PDFF11-12 o tomografía computada,16 en comparación con placebo. Sin embargo, los mismos estudios no lograron demostrar cambios significativos en la rigidez hepática, medida por MRE. Esta discrepancia puede explicarse por varias razones: la semaglutida ejerce un efecto más rápido y pronunciado sobre la acumulación de grasa hepática a través de la pérdida de peso y la mejora de la resistencia a la insulina, mientras que la fibrosis y los cam-

Walter Masson y col.

Semaglutida y enfermedad hepática grasa asociada a disfunción metabólica

bios estructurales hepáticos subyacentes se desarrollan y revierten de manera mucho más lenta.32 Además, MRIPDFF es altamente sensible para detectar modificaciones en la esteatosis incluso en períodos relativamente cortos, mientras que MRE requiere alteraciones más profundas y prolongadas en la estructura hepática para evidenciar cambios significativos. La duración limitada de los estudios y el tamaño muestral también podrían haber contribuido a que no se observaron diferencias estadísticas en la rigidez hepática.

Nuestros resultados también se encuentran en concordancia con datos previamente reportados, tanto de estudios observacionales o cuasiexperimentales,33-35 como de aquellos que evaluaron la semaglutida frente a otros comparadores activos.36-37 Estos estudios no fueron incluidos en nuestra revisión, ya que nos centramos exclusivamente en estudios aleatorizados o análisis post hoc de los mismos controlados con placebo.

Esta revisión sistemática presenta varias limitaciones. En primer lugar, existió heterogeneidad clínica debido a las diferentes poblaciones incluidas; además, los esquemas de semaglutida y los tiempos de seguimiento también variaron entre los estudios. En segundo lugar, los desenlaces hepáticos evaluados fueron distintos según el estudio considerado. Solo un número reducido de estudios incluyó evaluación histológica mediante biopsia hepática, y ninguno reportó desenlaces clínicos mayores, lo que limita la interpretación del impacto clínico a largo plazo. En tercer lugar, nuestra revisión incluyó análisis post hoc de estudios aleatorizados, los cuales no necesariamente conservan todas las fortalezas metodológicas de los estudios originales. Por último, no fue posible realizar un análisis cuantitativo (metaanálisis), principalmente debido al reducido número de estudios incluidos, a la heterogeneidad de las poblaciones, a los distintos esquemas de semaglutida utilizados y al tipo de eventos reportados. La realización de una medida de resumen con menos de tres estudios para un desenlace aislado y en presencia de diferencias en las poblaciones evaluadas o en las intervenciones aplicadas se consideró metodológicamente poco robusta y potencialmente susceptible de generar estimaciones imprecisas o engañosas. No obstante, esta revisión analiza en forma cualitativa la mejor evidencia disponible hasta la fecha.

Conclusión

En esta revisión sistemática, el uso de semaglutida en pacientes con MAFLD/MASH se asoció con mejoras consistentes en parámetros vinculados a la esteatosis hepática y, en menor medida, con cambios en marcadores

de fibrosis. Sin embargo, estos beneficios hepáticos deberán ser confirmados en estudios futuros que incluyan un mayor número de pacientes y períodos de seguimiento más prolongados, lo que además permitirá evaluar su eficacia en distintos subgrupos clínicos.

Propiedad intelectual. Los autores declaran que los datos, las figuras y las tablas presentes en el manuscrito son originales y se realizaron en sus instituciones pertenecientes.

Financiamiento. Los autores declaran que no hubo fuentes de financiación externas.

Conflictos de interés. Los autores declaran no tener conflictos de interés en relación con este artículo.

Aviso de derechos de autor © 2026 Acta Gastroenterológica Latinoamericana. Este es un artículo de acceso abierto publicado bajo los términos de la Licencia Creative Commons Attribution (CC BY-NC-SA 4.0), la cual permite el uso, la distribución y la reproducción de forma no comercial, siempre que se cite al autor y la fuente original.

Cite este artículo como: Masson W, Solís C y Nogueira J P. Semaglutida y enfermedad hepática grasa asociada a disfunción metabólica: una revisión sistemática Acta Gastroenterol Latinoam. 2026;56(1):59-70 https://doi. org/10.52787/agl.v56i1.591

Referencias

1. Younossi ZM, Kalligeros M, Henry L. Epidemiology of metabolic dysfunction-associated steatotic liver disease. Clin Mol Hepatol. 2025;31(Suppl):S32-S50. DOI: 10.3350/cmh.2024.0431

2. Basil B, Myke-Mbata BK, Eze OE, Akubue AU. From adiposity to steatosis: metabolic dysfunction-associated steatotic liver disease, a hepatic expression of metabolic syndrome - current insights and future directions. Clin Diabetes Endocrinol. 2024;10(1):39. DOI: 10.1186/s40842-024-00187-4

3. Quek J, Chan KE, Wong ZY, Tan C, Tan B, Lim WH, et al. Global prevalence of non-alcoholic fatty liver disease and non-alcoholic steatohepatitis in the overweight and obese population: a systematic review and meta-analysis. Lancet Gastroenterol Hepatol 2023;8:20-30. DOI: 10.1016/S2468-1253(22)00317-X

Walter Masson y col.

Semaglutida y enfermedad hepática grasa asociada a disfunción metabólica Walter Masson y col.

4. En Li Cho E, Ang CZ, Quek J, Fu CE, Lim LKE, Heng ZEQ, et al. Global prevalence of non-alcoholic fatty liver disease in type 2 diabetes mellitus: an updated systematic review and meta-analysis. Gut. 2023;72(11):2138-2148. DOI: 10.1136/gutjnl-2023-330110

5. Marso SP, Bain SC, Consoli A, Eliaschewitz FG, Jódar E, Leiter LA, et al. Semaglutide and Cardiovascular Outcomes in Patients with Type 2 Diabetes. N Engl J Med. 2016;375:1834-1844. DOI: 10.1056/NEJMoa1607141

6. Gouveri E, Popovic DS, Papanas N. Potential New Therapeutic Implications of Semaglutide: New Colours of the Rainbow? Diabetes Ther. 2024;15(1):13-18. DOI: 10.1007/s13300-02301506-1

7. Amaro A, Sugimoto D, Wharton S. Efficacy and safety of semaglutide for weight management: evidence from the STEP program. Postgrad Med 2022;134(sup1):5-17. DOI: 10.1080/00325 481.2022.2147326

8. Lincoff AM, Brown-Frandsen K, Colhoun HM, Deanfield J, Emerson SS, Esbjerg S, et al. Semaglutide and Cardiovascular Outcomes in Obesity without Diabetes. N Engl J Med. 2023;389(24):2221-2232. DOI: 10.1056/NEJMoa 2307563

9. Targher G, Byrne CD, Tilg H. MASLD: a systemic metabolic disorder with cardiovascular and malignant complications. Gut. 2024;73(4):691-702. DOI: 10.1136/gutjnl-2023-330595

10. Newsome PN, Buchholtz K, Cusi K, Linder M, Okanoue T, Ratziu V, et al. A Placebo- Controlled Trial of Subcutaneous Semaglutide in Nonalcoholic Steatohepatitis. N Engl J Med. 2021;384(12):1113-1124. DOI: 10.1056/NEJMoa2028395

11. Flint A, Andersen G, Hockings P, Johansson L, Morsing A, Palle MS, et al. Randomised clinical trial: semaglutide versus placebo reduced liver steatosis but not liver stiffness in subjects with non-alcoholic fatty liver disease assessed by magnetic resonance imaging. Aliment Pharmacol Ther. 2021;54(9):1150-1161. DOI: 10.1111/apt.16608

12. Loomba R, Abdelmalek MF, Armstrong MJ, Jara M, Kjær MS, Krarup N, et al. Semaglutide 2·4 Mg Once Weekly in Patients With Non- Alcoholic Steatohepatitis- Related Cirrhosis: A Randomised, Placebo- Controlled Phase 2 Trial. Lancet Gastroenterol Hepatol. 2023;8(6):511-522. DOI: 10.1016/S24681253(23)00068-7

13. Ratziu V, Francque S, Behling CA, Cejvanovic V, Cortez-Pinto H, Iyer JS, et al. Artificial intelligence scoring of liver biopsies in a phase II trial of semaglutide in nonalcoholic steatohepatitis. Hepatology. 2024;80(1):173-185. DOI: 10.1097/ HEP.0000000000000723

14. Schattenberg J, Grønbæk H, Kliers I, Ladelund S, Long MT, Nygård SB, et al. Proteomic signatures reflect effects of semaglutide treatment for MASH. JHEP Reports. 2025;7(10). DOI: 10.1016/j.jhepr.2025.101521

15. Sanyal AJ, Newsome PN, Kliers I, Østergaard LH, Long MT, Kjær MS, et al. Phase 3 Trial of Semaglutide in Metabolic Dysfunction–Associated Steatohepatitis. N Engl J Med. 2025;392(21):2089-2099. DOI: 10.1056/NEJMoa241325

16. Golub IS, Manubolu VS, Aldana-Bitar J, Dahal S, Verghese D, Alalawi L, et al. The impact of semaglutide on liver fat assessed by serial cardiac CT scans in patients with type 2 diabetes: Results from STOP trial. Nutr Metab Cardiovasc Dis. 2025;35(9):104036. DOI: 10.1016/j.numecd. 2025.104036

17. Bandyopadhyay S, Das S, Samajdar SS, Joshi SR. Role of semaglutide in the treatment of nonalcoholic fatty liver disease or non-alcoholic steatohepatitis: A systematic review and meta-analysis. Diabetes Metab Syndr. 2023;17(10):102849. DOI: 10.1016/j.dsx.2023.102849

18. Mantovani A, Morandin R, Fiorio V, Lando MG, Stefan N, Tilg H, et al. Glucagon-Like Peptide-1 Receptor Agonists Improve MASH and Liver Fibrosis: A Meta-Analysis of Randomised Controlled Trials. Liver Int. 2025;45(9):e70256. DOI: 10.1111/liv.70256

19. Wang Y, Zhou Y, Wang Z, Ni Y, Prud'homme GJ, Wang Q. Efficacy of GLP-1-based Therapies on Metabolic Dysfunction-associated Steatotic Liver Disease and Metabolic Dysfunction-associated Steatohepatitis: A Systematic Review and Meta-analysis. J Clin Endocrinol Metab. 2025;110(10):2964-2979. DOI: 10.1210/clinem/dgaf336

20. Fang L, Li J, Zeng H, Liu J. Effects of GLP-1 receptor agonists on the degree of liver fibrosis and CRP in non-alcoholic fatty liver disease and non-alcoholic steatohepatitis: A systematic review and meta-analysis. Prim Care Diabetes. 2024;18(3):268-276. DOI: 10.1016/j.pcd.2024.03.005

21. Arya S, Kaji AH, Boermeester MA. PRISMA Reporting Guidelines for Meta-analyses and Systematic Reviews. JAMA Surg. 2021;156:789-90. DOI: 10.1001/jamasurg.2021. 0546

22. Sterne JAC, Savovic J, Page MJ, Elbers RG, Blencowe NS, Boutron I, et al. RoB 2: a revised tool for assessing risk of bias in randomised trials. BMJ. 2019;28:l4898. DOI: 10.1136/bmj. l4898

23. Alfawaz S, Burzangi A, Esmat A. Mechanisms of Non-alcoholic Fatty Liver Disease and Beneficial Effects of Semaglutide: A Review. Cureus. 2024;16(8):e67080. DOI: 10.7759/ cureus.67080

24. Genua I, Cusi K. Approaches to Nonalcoholic Fatty Liver Disease: Current and Future Therapies. Diabetes Spectr. 2024;37(1):48-58. DOI: 10.2337/dsi23-0012 Pharmacological.

25. Nogueira JP, Cusi K. Role of Insulin Resistance in the Development of Nonalcoholic Fatty Liver Disease in People With Type 2 Diabetes: From Bench to Patient Care. Diabetes Spectr. 2024;37(1):20-28. DOI: 10.2337/dsi23-0013

26. Vergès B, Duvillard L, Pais de Barros JP, Bouillet B, Baillot-Rudoni S, Rouland A, et al. Liraglutide Increases the Catabolism of Apolipoprotein B100-Containing Lipoproteins in Patients With Type 2 Diabetes and Reduces Proprotein Convertase Subtilisin/ Kexin Type 9 Expression. Diabetes Care. 2021;44(4):10271037. DOI: 10.2337/dc20-1843

27. Patel Chavez C, Cusi K, Kadiyala S. The emerging role of glucagon-like peptide-1 receptor agonists for the management of NAFLD. J Clin Endocrinol Metab 2022;107(1):29-38. DOI: 10.1210/clinem/dgab578

28. Al-Qaaneh AM, Qunaibi EA, Al-Fraihat NA, Abu-Aisheh BE, Rabea S, Al Aloul AA, et al. Real-World Off-Label Use of Semaglutide for Weight Reduction: User Behavior, Effectiveness, and Satisfaction. Patient Prefer Adherence. 2025;19:3373-3385. DOI: 10.2147/PPA.S549716

29. Duan Y, Pan X, Luo J, Xiao X, Li J, Bestman L., et al. Association of Inflammatory Cytokines With Non-Alcoholic Fatty Liver Disease. Front Immunol. 2022:13:880298. DOI: 10.3389/ fimmu.2022.880298

Semaglutida y enfermedad hepática grasa asociada a disfunción metabólica Walter Masson y col.

30. Masson W, Lobo M, Nogueira JP, Rodriguez-Granillo AM, Barbagelata LE, Siniawski D. Anti-inflammatory effect of semaglutide: updated systematic review and meta-analysis. Front Cardiovasc Med. 2024;11:1379189. DOI: 10.3389/fcvm. 2024.1379189

31. Yang XD, Yang YY. Clinical Pharmacokinetics of Semaglutide: A Systematic Review. Drug Des Devel Ther. 2024 Jun 25:18:2555-2570. DOI: 10.2147/DDDT.S470826

32. Tang A, Desai A, Hamilton G, Wolfson T, Gamst AC, Lam J, et al. MRI and MRE for Non-invasive Quantitative Assessment of Hepatic Steatosis and Fibrosis in NAFLD and NASH: Clinical Trials to Clinical Practice. Nat Rev Gastroenterol Hepatol. 2022;19(5):341-359. DOI: 10.1016/j.jhep.2016.06.005

33. Arai T, Atsukawa M, Tsubota A, Ono H, Kawano T, Yoshida Y, et al. Efficacy and safety of oral semaglutide in patients with non-alcoholic fatty liver disease complicated by type 2 diabetes mellitus: A pilot study. JGH Open. 2022;6(7):503-511. DOI: 10.1002/jgh3.12780

34. Volpe S, Lisco G, Fanelli M, Racaniello D, Colaianni V, Triggiani D, et al. Once-Weekly Subcutaneous Semaglutide Improves Fatty Liver Disease in Patients with Type 2 Diabetes: A 52-Week Prospective Real-Life Study. Nutrients. 2022;14(21):4673. DOI: 10.3390/nu14214673

35. Carretero-Gómez J, Carrasco-Sánchez FJ, Fernández-Rodríguez JM, Casado-Escribano P, Miramontes-González JP, Seguí-Ripoll JM, et al. Effect of semaglutide on fatty liver disease biomarkers in patients with diabetes and obesity. Rev Clin Esp (Barc). 2023;223(3):134-143. DOI: 10.1016/j.rceng.2022.12.001

36. Alkhouri N, Herring R, Kabler H, Kayali Z, Hassanein T, Kohli A, et al. Safety and efficacy of combination therapy with semaglutide, cilofexor and firsocostat in patients with non-alcoholic steatohepatitis: A randomised, open-label phase II trial. J Hepatol. 2022;77(3):607-618. DOI: 10.1016/j.jhep. 2022.04.003

37. Romero-Gómez M, Lawitz E, Shankar RR, Chaudhri E, Liu J, Lam RLH, et al. A phase IIa active-comparator-controlled study to evaluate the efficacy and safety of efinopegdutide in patients with non-alcoholic fatty liver disease. J Hepatol. 2023;79(4):888897. DOI: 10.1016/j.jhep.2023.05.013

Gastroenterol Latinoam 2026;56(1):59-70

Hepatitis C Screening and Gender Disparities in Positivity Rates in Argentina: A Multicenter Study

Manuel

Hospital El Cruce.

Florencio Varela, Provincia de Buenos Aires. Argentina

Acta Gastroenterol Latinoam 2026;56(1):71-77

Received: 20/01/2026 / Accepted: 19/03/2026 / Published online: 31/03/2026 / https://doi.org/10.52787/agl.v56i1.595

Summary

Introduction. Anti-HCV seropositivity is a public-health concern in Argentina, with potential disparities by gender. We estimated anti-HCV seropositivity in a multicenter public laboratory network, described gender-based differences, and examined the association with all-cause mortality. Methods. Retrospective observational study with centralized chemiluminescent immunoassay testing at Hospital El Cruce, using samples from 64 public centers from January 1, 2013 to December 31, 2023. The analyses were performed at the patient level (the first test per person) and

Correspondence: Manuel Barbero

Email: manuelbarbero11@gmail.com

the positivity rate was calculated for each testing site. Vital status information was obtained from hospital records and RENAPER (with a cut-off date of December 2024). Mortality by anti-HCV serostatus was assessed using logistic regression with a prespecified 2:1 matching on age, gender, and testing site. Results. Of the 74,503 adults tested, 1,101 (1.48%) were anti-HCV–positive. Of those tested, 83.0% were women (61,837/74,503) and 17.0% were men (12,666/74,503). Within gender seropositivity was 0.73% in women (451/61,837) and 5.05% in men (639/12,666). The per-test positivity rate was 0.5% in peripheral centers (451/90,194) and 5.1% in the hospital (922/18,082). Of the individuals who tested positive for anti-HCV, 25.0% (275/1,101) were deceased at the cut-off date. In a matched cohort of 2:1 by age, gender, and site, anti-HCV positivity was associated with a higher risk of death (adjusted OR 4.75; 95% CI 3.82 – 5.94; p < 0.001). Conclusions. Men were tested much less frequently than women (17.0% versus 83.0% of those tested), yet they were far more likely to test positive for antiHCV (5.05% versus 0.73% within gender), accounting for the majority of positive results (58%). Therefore, screening policies should prioritize increasing testing among men, especially in high-yield hospital settings, and ensure rapid linkage to care. The association between anti-HCV

Hepatitis C Screening and Gender Disparities in Positivity Rates in Argentina: A Multicenter Study Manuel Barbero et al.

seropositivity and higher mortality reinforces the urgency of these actions.

Keywords. Hepatitis C/epidemiology, serologic tests, mass screening, sex factors, mortality, Argentina/epidemiology.

Detección de hepatitis C y disparidad de género en las tasas de positividad en Argentina: un estudio multicéntrico

Resumen

Introducción. La seropositividad al anti-VHC es un problema de salud pública en Argentina, con posibles disparidades según el género. Estimamos la seropositividad al anti-VHC en una red multicéntrica de laboratorios públicos, describimos las diferencias según el género y examinamos la asociación con la mortalidad por todas las causas. Métodos. Se realizó un estudio observacional retrospectivo con pruebas centralizadas de inmunoensayo quimioluminiscente en el Hospital El Cruce, utilizando muestras de 64 centros públicos, desde el 1° de enero de 2013 al 31 de diciembre de 2023. Los análisis se realizaron a nivel de paciente (primera prueba por persona); se calculó la positividad por centro de análisis. La información sobre el estado vital se obtuvo de los registros hospitalarios y del RENAPER (fecha límite: diciembre de 2024). Se evaluó la mortalidad según el estado serológico anti-VHC mediante regresión logística, con un emparejamiento pre-especificado 2:1 por edad, género y centro de análisis. Resultados. De los 74.503 adultos sometidos a pruebas, 1.101 (1,48%) fueron anti-VHC positivos. De los pacientes estudiados, 83,0% fueron mujeres (61.837/74.503) y 17,0% hombres (12.666/74.503). Según el sexo, la seropositividad fue 0,73% entre las mujeres (451/61.837) y 5,05% entre los hombres (639/12.666). La positividad por prueba fue 0,5% en los centros periféricos (451/90.194) y 5,1% en el hospital (922/18.082). Entre las personas anti-VHC positivas, el 25,0% (275/1.101) había fallecido a la fecha de corte. En una cohorte emparejada 2:1 por edad, sexo y centro, la positividad al anti-VHC se asoció con un riesgo mayor de muerte (OR ajustado 4,75; IC del 95%: 3,82–5,94; p < 0,001). Conclusiones. Los varones fueron estudiados con menor frecuencia que las mujeres (17.0% versus 83.0% de los testeados), aunque tenían una probabilidad mayor de ser positivos para el anti-VHC (5.05% versus 0.73% según el género). Las políticas de tamizaje deberían priorizar el incremento de las pruebas entre los hombres,

especialmente en los entornos hospitalarios de alto rendimiento, garantizando una vinculación rápida con la asistencia del paciente. La asociación entre la seropositividad del anti-HCV y una mayor mortalidad refuerza la urgencia de estas acciones.

Palabras claves. Hepatitis C/epidemiología, pruebas serológicas, tamizaje masivo, factores relacionados con el sexo, mortalidad, Argentina/epidemiología.

Abbreviation

HCV: Hepatitis C virus.

CLIA: Chemiluminescent immunoassay.

S/CO: Signal-to-cutoff ratio.

RNA: Ribonucleic acid.

RENAPER: Registro Nacional de las Personas (Argentina’s National Registry of Persons).

SD: Standard deviation.

IQR: Interquartile range.

CI: Confidence interval.

χ²: Chi-square.

OR: Odds ratio.

US: United States.

Introduction

Hepatitis C virus (HCV) infection is a significant public health concern, with substantial implications for morbidity and mortality worldwide. A key step in achieving the World Health Organization’s goal of eliminating hepatitis C by 2030 is to identify individuals at risk using robust screening methods to detect undiagnosed cases.1 However, many countries, including Argentina, face challenges in conducting effective hepatitis C screening and surveillance.2-3

While the global prevalence of hepatitis C virus infection is estimated to be around 2.5%, there are significant geographic variations in incidence and prevalence.4 HCV infection remains a major public health challenge in Argentina, being a leading cause of cirrhosis, hepatocellular carcinoma, liver transplantation, and

Hepatitis C Screening and Gender Disparities in Positivity Rates in Argentina: A Multicenter Study

liver-related mortality.5 Despite advances in treatment, a significant proportion of infected individuals remain undiagnosed and untreated, contributing to the ongoing burden of HCV-related complications.

In Argentina, available data suggest that hepatitis C prevalence may range from 0.7% to 2% of the population.5 Furthermore, anti-HCV positivity has been associated with increased overall mortality.7-9

Globally, women utilize healthcare services more frequently than men, largely due to routine gynecological checkups, prenatal care, and childbirth.10 This increased interaction with the healthcare system may contribute to higher screening rates for various conditions, including infectious diseases such as hepatitis C.

The true prevalence of hepatitis C in Argentina is uncertain due to a lack of comprehensive epidemiological studies. This lack of data makes it difficult to assess the effectiveness of current screening strategies and to fully understand potential gender disparities in anti-HCV seropositivity.5 The main difficulties in obtaining demographic data are related to Argentina’s sociocultural, geographic, and economic aspects.

The aim of this study is:

1. To determine anti-HCV seropositivity in a multicenter public laboratory network in Argentina.

2. To investigate gender-based differences in the proportion tested and anti-HCV seropositivity.

3. To determine the association between anti-HCV seropositivity measured by CLIA and all-cause mortality.

The aim of these findings is to inform public health policies by identifying critical gaps in gender-based screening and positivity patterns.

Methods

Study design and setting

We conducted a multicenter retrospective observational study using data from the ReLink program in Argentina between 1 January 2013 and 31 December 2023. Blood samples were collected at 64 low–medium complexity public health centers and at a high-complexity referral hospital (Hospital El Cruce, Buenos Aires), where all serological analyses were centralized. Positivity by testing site was computed per test; all other estimates were calculated at the patient level (first test per person).

Participants

We included adults (≥ 18 years) who had at least one

anti-HCV test during the study period. For individuals with multiple tests, analyses were performed at the individual level using the first test as the reference point. Records were de-duplicated using a unique identifier. No additional exclusion criteria were applied.

Data sources and measurements

Demographic and testing data were extracted from the central laboratory information system. Serum/plasma samples were tested for anti-HCV using a chemiluminescent immunoassay (CLIA). The results followed the manufacturer’s cut-off: reactive if the signal-to-cutoff (S/CO) ratio was ≥ 1.0 and non-reactive if S/CO ratio was < 1.0. Initially reactive results were retested, and those that remained reactive were classified as anti-HCV positive. Reflex HCV-RNA confirmation was only performed among individuals who were re-linked to care within the ReLink program, and this is reported elsewhere. RNA was not used to define seropositivity in the present analysis. The testing site was classified as hospital (Hospital El Cruce) or peripheral center (the 64 public centers). Vital status (all-cause mortality) was ascertained by record linkage with hospital records and the RENAPER national registry, with a cut-off date of December 2024.

Outcomes

The primary outcomes were: (1) anti-HCV seropositivity (yes/no) and (2) all-cause mortality at the mortality cut-off.

Bias and study size

The study included all eligible tests during the specified period (census of available testing). Potential biases (selection, misclassification and residual confounding) were mitigated through centralized testing and de-duplication at person level.

Statistical analysis

Continuous variables are reported as mean (and SD ifavailable) or median (IQR) following a distribution assessment using the Shapiro–Wilk test. Categorical variables are shown as counts (%), and 95% confidence intervals (CIs) are reported for comparative estimates when applicable. Group comparisons used a t-test or Mann–Whitney U test for continuous variables and χ² (or Fisher’s exact test when expected counts < 5) for categorical variables. To evaluate the association between HCV serostatus and mortality, we fitted a logistic regression

Manuel Barbero et al.

Hepatitis C Screening and Gender Disparities in Positivity Rates in Argentina: A Multicenter Study

model, using anti-HCV–positive vs. anti-HCV–negative as the exposure and all-cause mortality as the outcome, adjusting for age (continuous), gender, and testing site (hospital vs. peripheral center). We assessed linearity in the logit for age and checked for multicollinearity. Additionally, we conducted a secondary matched analysis using a 2:1 ratio for gender, age, and testing site, and fitted a logistic regression model within the matched cohort. The results are reported as odds ratios (OR) with 95% CI. Statistical significance was defined as p < 0.05. There were no missing values for the core variables (age, gender, testing site) so analyses were complete-case without imputation.

Ethics

The study was approved by the Ethics Committee at Hospital El Cruce. As it was a retrospective study using de-identified data, informed consent was waived.

Software

Analyses were performed in R, version 4.2.1.

Results

A total of 108,276 samples were processed using chemiluminescence, corresponding to 74,503 unique patients. Of these, 1,680 samples were reactive, belonging to 1,101 individuals, giving an overall anti-HCV seropositivity rate of 1.48% (1,101/74,503). Analyses were

performed at the individual level using the first test result for each patient; there were no missing data for age, gender, or testing site. Follow-up for mortality extended through to December 2024 (Table 1).

Patient-level analysis (first test per person).

Most tests originated from peripheral public health centers, with a smaller proportion originating from the hospital setting. At the test level, peripheral centers accounted for 90,194 tests (83.3%), while the hospital accounted for 18,082 tests (16.7%). Anti-HCV seropositivity per test was 0.5% (451/90,194) in peripheral centers and 5.1% (922/18,082) in hospital settings (Figure 2).

Of those tested, 83% were women (61,837) and 17% were men (12,666). The proportion of women who were seropositive was 0.73% (451/61,837) and the proportion of men were 5.05% (639/12,666) (Figure 1).

Tabla 1. Baseline characteristics of patients tested for HCV (patient-level)
Figure 1. Seropositivity by gender (patient-level)

Hepatitis C Screening and Gender Disparities in Positivity Rates in Argentina: A Multicenter Study

site, 2013-2023

Peripheral centers

(El Cruce)

Peripheral centers = 64 public centers (90,194 tests); Hospital (El Cruce) = high-complexity referral center (18,082 test). Labels indicate % and n/N adove each bar.

The mean age of the tested population was 37.5 years (SD ± 16) years, with women at 35.5 years (SD ± 14) and men at 45.3 years (SD ± 20). Of the 1,101 individuals who tested positive for HCV, 451 were women (40.9%) and 639 were men (58.0%). The mean age of HCV-positive participants was 48.3 ± 14 years overall, 44.6 ± 16 years in women and 50.7 ± 10 years in men.

Regarding mortality, 275/1,101 (25.0%) anti-HCV–positive patients had died by the December 2024 cut-off. In a logistic regression fitted on a cohort matched 2:1 by gender, age, and testing site, anti-HCV positivity was associated with substantially higher odds of death versus anti-HCV negativity (adjusted OR 4.75; 95% CI 3.82–5.94; p < 0.001) (Table 2).

Percentages are column-wise. Abbreviations: OR, odds ratio; CI, confidence interval; CLIA, chemiluminescent immunoassay.

Discussion

Our study highlights the significant burden of hepatitis C in Argentina, with an anti-HCV seropositivity rate of 1.48%, which is consistent with national prevalence estimates ranging from 0.7% to 2%.5 These findings are consistent with those of a population-based study conducted by Mendizabal et al. in Buenos Aires Province.11 We also incorporated data from a recent

national study of blood donors, which reported an anti-HCv seroreactivity rate of 0.79% between 2017 and 2021. This confirms the low but persistent prevalence of HCV in the general healthy population.12 In addition, our results corroborate prior surveillance data from Flichman et al., which suggests that hospital-based testing identifies a higher proportion of positives cases.13 Although women represented the majority of indi-

Figure 2. Seropositivity per test by testing
Tabla 2. All-cause mortality by anti-HCV serostatus (patient-level; matched 2:1 cohort; cut-off Dec 2024)

Hepatitis C Screening and Gender Disparities in Positivity Rates in Argentina: A Multicenter Study

viduals tested, likely due to their higher engagement with the healthcare system, (including routine gynecologic visits and pregnancy-related care), men had a substantially higher anti-HCV positivity rate.14 Despite being underrepresented in the screened population, men accounted for 58% of anti-HCV–positive cases. This suggests either delayed diagnosis or a higher cumulative risk, underscoring the need for gender-targeted screening strategies. These patterns are consistent with a national report and echo findings from studies in other Latin American settings, such as Cobo et al., who described how gender and structural inequalities affect healthcare access.15, 16

The observed gender disparity may also reflect differences in underlying risk factors, such as intravenous drug use, occupational exposures, or sexual behaviors.17 Although our study did not evaluate these directly, the findings support the need to further explore gender based vulnerability within the Argentine context.

Argentina, like many Latin American countries, faces structural barriers to hepatitis C elimination, including socioeconomic disparities and gaps in access to testing and treatment. Understanding the local epidemiology is essential for designing effective public health strategies.13

We also observed a strong association between anti-HCV positivity and mortality. At the time of analysis, 25% of anti-HCV–positive individuals had died, and anti-HCV positivity was associated with a nearly five-fold increase in the odds of mortality (OR 4.75; 95% CI 3.82-5.94; p < 0.001), compared to a matched cohort of anti-HCV–negative individuals. This finding is consistent with previous reports by Omland et al. and Neal et al. , which documented increased mortality in HCV-infected cohorts. 8, 9 Similar results were reported by El-Kamary et al. in the US, where all-cause mortality was more than doubled in individuals with chronic HCV. 18 It is important to note that our mortality data, derived from RENAPER, reflect all-cause mortality only. We were unable to determine the specific cause of death for each individual. Therefore, we cannot quantify the proportion of deaths attributable to hepatic causes (such as cirrhosis, hepatocellular carcinoma, or liver failure) versus non-hepatic causes (such as cardiovascular disease, infectious complications, or other comorbidities). Despite this limitation, the magnitude of the observed excess mortality in anti-HCV–positive individuals highlights the clinical and public health importance of HCV infection beyond liver disease alone.

These results emphasize the critical importance of early detection, prompt treatment initiation, and robust re-linkage programs for those who test positive. In a context where many remain undiagnosed, central laboratories can play a key role in identifying and referring high-risk individuals for timely care.

Strengths and Limitations

The strengths include the large, multicenter sample drawn from 64 public centers and a high-complexity referral hospital, centralized chemiluminescent serological testing with uniform cut-offs, deterministic de-duplication at the individual level, and linkage to hospital records and RENAPER for vital status. Limitations include the lack of comprehensive nationwide sampling, reliance on a single laboratory network, the retrospective design (where testing was performed for clinical indications, limiting generalizability to the general population and precluding inference of national prevalence) and the absence of cause-specific mortality. Vital status was ascertained through record linkage with RENAPER (Argentina’s National Registry of Persons) , which provides reliable all-cause mortality data but does not include information on the underlying cause of death. This precludes any inference about the proportion of deaths that are directly attributable to HCV-related liver disease versus those that occurr due to comorbid or unrelated conditions. Future studies with access to death certificate data or clinical records are needed to characterize cause-specific mortality in this population. A prospective study with a broader and more representative population is required to validate these conclusions.

Conclusion

In conclusion, this study provides insights into the epidemiology of hepatitis C in Argentina, highlighting the importance of strengthening screening and surveillance efforts to address potential gender-based disparities. Targeted interventions to enhance HCV detection and linkage to care are crucial in reducing the disease’s burden and improving public health outcomes. The demonstrated association between anti-HCV positivity and a higher risk of death emphasizes the importance of implementing effective strategies for diagnosis, care linkage, and treatment initiation, with the aim of mitigating the long-term consequences of chronic HCV infection in Argentina.

Manuel Barbero et al.

Hepatitis C Screening and Gender Disparities in Positivity Rates in Argentina: A Multicenter Study Manuel Barbero et al.

Consent for publication. Written informed consent was obtained from the patient for participation and publication of this case.

Intellectual property. The authors declare that the data, figures and tables in this article are original and were carried out at their institutions.

Funding. This study was supported by a research grant from Gilead Sciences.

Conflict of interest. The authors declare that they have no conflicts of interest in relation to this article.

Copyright © 2026 Acta Gastroenterológica latinoamericana. This is an openaccess article released under the terms of the Creative Commons Attribution (CC BY-NCSA 4.0) license, which allows non-commercial use, distribution, and reproduction, provided the original author and source are acknowledged.

Cite this article as: Barbero M, Roca I, Navarro L et al. Hepatitis C Screening and Gender Disparities in Positivity Rates in Argentina: A Multicenter Study. Acta Gastroenterol Latinoam. 2026;56(1):71-77. https://doi.org/ 10.52787/agl.v56i1.595

References

1. World Health Organization. Global health sector strategy on viral hepatitis 2016-2021: towards ending viral hepatitis. Geneva: World Health Organization; 2016. Available from: https:// www.who.int/publications/i/item/WHO-HIV-2016.06

2. Averhoff FM, Glass N, Holtzman D. Global burden of hepatitis C: considerations for healthcare providers in the United States. Clin Infect Dis. 2012;55(Suppl 1):S10–S15. DOI: 10.1093/cid/ cis361

3. Kretzer IF, Livramento A do, Cunha J da, Gonçalves SN, Tosin I, Spada C, et al. Hepatitis C worldwide and in Brazil: silent epidemic-data on disease including incidence, transmission, prevention, and treatment. ScientificWorldJournal. 2014;2014:827849. DOI: 10.1155/2014/827849

4. Petruzziello A, Marigliano S, Loquercio G, Cozzolino A, Cacciapuoti C. Global epidemiology of hepatitis C virus infection: an update of the distribution and circulation of hepatitis C virus genotypes. World J Gastroenterol. 2016;22(34):7824-7840. DOI: 10.3748/wjg.v22.i34.7824

5. Gaite LA, Marciano S, Galdame OA, Gadano AC. Hepatitis C in Argentina: epidemiology and treatment. Hepat Med 2014;6:35-43.

6. Alessandrini R, Calfunao D, Perez R, Torresin J, Bouza MF. Point-of-care testing for HCV and HBV infection: first experience in Patagonia, Argentina. Int J Infect Dis. 2018;73(Suppl 1):206. DOI: 10.1016/j.ijid.2018.04.3881

7. McCombs JS, Matsuda T, Tonnu-Mihara I, Saab S, Hines P, L’Italien G, et al. The risk of long-term morbidity and mortality in patients with chronic hepatitis C. JAMA Intern Med. 2014;174(2):204-212. DOI: 10.1001/jamainternmed. 2013.12505

8. Neal KR. Excess mortality rates in a cohort of patients infected with the hepatitis C virus: a prospective study. Gut 2007;56(8):1098-1104. DOI: 10.1136/gut.2006.113217

9. Omland LH, Jepsen P, Krarup H, Schønning K, Lind B, Kromann-Andersen H, et al. Increased mortality among persons infected with hepatitis C virus. Clin Gastroenterol Hepatol. 2011;9(1):71-78. DOI: 10.1016/j.cgh.2010.09.014

10. Vaidya V, Partha G, Karmakar M. Gender differences in utilization of preventive care services in the United States. J Womens Health (Larchmt). 2012;21(2):140-145. DOI: 10.1089/jwh. 2011.2876

11. Mendizabal M, et al. Prevalence of hepatitis C in Buenos Aires Province: a population-based study. J Viral Hepat. 2020; 27(12):1320-1327. DOI: 10.1111/jvh.13363

12. Cobos M, Hidalgo G, Soratti C. Serologic profile of donors in Argentina. Transplant Proc. 2023;55(6):1473-1476. DOI: 10.1016/j.transproceed 2023.03.076

13. Flichman D, Blejer JL, Livellara BI, Ré V, Bartoli S, Bustos JA, et al. Prevalence and trends of markers of hepatitis B, C, and HIV in Argentine blood donors. BMC Infect Dis. 2014;14:218. DOI: 10.1186/1471-2334-14-218

14. Lacey C, Ellen S, Devlin H, Wright E, Mijch A. Hepatitis C in psychiatry inpatients: testing rates, prevalence and risk behaviours. Australas Psychiatry. 2007;15(4):315-319. DOI: 10.10 80/10398560701358113

15. Adaszko D, y col. Epidemiología de la hepatitis C en Argentina: revisión sistemática. Buenos Aires: Ministerio de Salud de la Nación; 2017.

16. Cobo B, Cruz CT, Dick P. Gender and racial inequalities in the access to and the use of Brazilian health services [dataset]. Figshare. 2022. DOI: 10.6084/m9.figshare.19922366

17. Lin CF, Shiau TJ, Ko YC, Chen PH, Wang JD. Prevalence and determinants of biochemical dysfunction of the liver in Atayal aboriginal community of Taiwan: is betel nut chewing a risk factor? BMC Gastroenterol. 2008;8:13. DOI: 10.1186/1471230X-8-13

18. El-Kamary SS, Jhaveri R, Shardell M. All-cause, liver-related, and non–liver-related mortality among HCV-infected individuals in the general US population. Clin Infect Dis. 2011;53(2):150-157. DOI: 10.1093/cid/cir306

Gastroenterol Latinoam 2026;56(1):71-77

Frecuencia

de pólipos colorrectales en menores vs mayores de cincuenta años: análisis de 4718 videocolonoscopías mediante minería de datos

Medardo Fernández-Chávez1 · Juliana Paiz-Tierno1 · Adriana Vella-Milagro1 · Santiago

Arcentales-Peralta1 · Leonardo Aveiga-Cedeño1 · María Carolina Conlon1 · Renata Alina Spiazzi1 · María Jimena Cerezo1 · Ana Omonte-Zambrana1 · María Claudia Milano1 Fátima Fernández2 · Ricardo Gotti2 · Miguel Puga-Tejada1

1Servicio de Gastroenterología, Hospital Nacional Profesor Alejandro Posadas (HNPAP); El Palomar, provincia de Buenos Aires, Argentina.

2Servicio de Endoscopía, Hospital Nacional Profesor Alejandro Posadas (HNPAP); El Palomar, Provincia de Buenos Aires. Argentina.

Acta Gastroenterol Latinoam 2026;56(1):78-85

Recibido: 21/12/2025 / Aceptado: 23/03/2026 / Publicado online: 31/03/2026 / https://doi.org/10.52787/agl.v56i1.581

Resumen

Introducción. Existen distintas recomendaciones respecto de la edad de inicio del cribado de cáncer colorrectal (CCR) mediante videocolonoscopía (VCC). Objetivo. Analizar la frecuencia de pólipos colorrectales en pacientes de cualquier edad, a partir de un registro de VCC, mediante minería de datos (MD). Materiales y métodos. Se analizó un registro prospectivo de VCC (enero de 2015-diciembre de 2019). Mediante MD se recuperaron aquellos casos con al menos un pólipo, las características por caso y pólipo, y se comparó según la edad. Resultados. Se recuperaron 4781 VCC/ pacientes: 13,1% en < 40 años, 5,8% en 40-44; 8,1% en 45-49 y 71,7% en ≥ 50; 62,1% femenino, 62,2% VCC

diagnóstica. Se identificó al menos un pólipo en el 15,6% de los pacientes < 40 años, 19,4% en 40-44, 21,6% en 45-49 y 34,6% en ≥ 50 (p < 0.001). De estos, correspondieron a pólipo aserrado sésil en 8,2%, 5,6%, 8,4%, 7,7% y adenomatoso en 30,6%, 27,8%, 44,6% y 49,5%, respectivamente. El riesgo de presentar al menos un pólipo se incrementó significativamente con la edad: 45-49 (OR 1.47; IC 95% 1,06 – 2,05; p = 0,02), y ≥ 50 (OR 2,81; IC 95% 2,24 – 3,56; p < 0,001). Se estimó como mínimo una edad de 47 años para una VCC de cribado de pólipos en general, y de 48 años para aserrados sésiles o adenomatosos (sensibilidad > 85%). Conclusión. Los resultados de este estudio demuestran el incremento significativo de pólipos colorrectales aun en < 50 años. Es necesario evaluar el inicio del cribado de CCR mediante VCC a una edad más temprana.

Palabras claves. Adultos, cáncer colorrectal, pólipos colónicos, videocolonoscopía, jóvenes adultos (fuente: MeSH).

Frequency of Colorectal Polyps in Patiens Younger vs. Older Than Fifty

Years: Analysis of 4718 Colonoscopies

Correspondencia: Miguel Puga-Tejada Correo electrónico: miguel.puga01@hotmail.com

Through Data Mining

Pólipos colorrectales en menores vs mayores de 50 años

Summary

Introduction. There are different recommendations regarding the age at which colorectal cancer screening should begin using video colonoscopy (VC) in individuals under 50 years of age. Aim. To analyze the frequency of colorectal polyps in patients of any age, using data mining (DM) from a VC registry. Materials and methods. A prospective colonoscopies registry (January 2015-December 2019) was analyzed. Cases with at least one polyp were retrieved using DM, along with the characteristics of each case and polyp, and were compared according to age. Results. A total of 4,781 colonoscopies were retrieved from patients: 13.1% in those < 40 years old, 5.8% in those 4044, 8.1% in 45-49, and 71.7% in those ≥ 50; 62.1% were female, and 62.2% were diagnostic VC. At least one polyp was identified in 15.6% of patients < 40 years old, 19.4% in those 40-44, 21.6% in those 45-49, and 34.6% in those ≥ 50 (p < 0.001). Of these, sessile serrated polyps were found in 8.2%, 5.6%, 8.4%, and 7.7%, and adenomatous polyps in 30.6%, 27.8%, 44.6%, and 49.5%, respectively. The risk of having at least one polyp increased significantly with age: 45–49 (OR 1.47; 95% CI 1.06–2.05; p = 0.02), and ≥50 (OR 2.81; 95% CI 2.24–3.56; p < 0.001). A minimum age of 47 years was estimated for polyps screening, and 48 years for sessile or adenomatous serrated polyps (sensitivity > 85%). Conclusion. The results of this study demonstrate a significant increase in colorectal polyps even in individuals < 50 years of age. It is necessary to evaluate colorectal cancer screening using VC at an earlier age.

Keywords. Adults, colorectal cancer, colonic polyps, video colonoscopy, young adults (source: MeSH).

Introducción

Según la American Cancer Society, se recomienda iniciar el cribado de CCR a partir de los 45 años, en adultos sin otros factores de riesgo.1 Sociedades científicas de otros países mantienen el criterio de iniciar el cribado a los 50 años. La videocolonoscopía (VCC) constituye el patrón de oro en el cribado de cáncer colorrectal (CCR),2 durante el cual pueden hallarse pólipos colónicos. Según las características de dichos pólipos, se toman distintas pautas de seguimiento. Dado que la prevalencia del CCR es mucho más baja en adultos menores de 50 años,3 en este grupo etario la indicación de una VCC es tomada en función del criterio médico frente a cuadros clínicos específicos, a saber: hematoquecia, anemia, constipación, diarrea crónica o dolor abdominal.4 En estos pacientes, la realización de la VCC se ve demorada por la realización de una batería de estudios previos encaminados a descartar otras causas clínicas que podrían ser responsables de dichos cuadros.5 A fin de

Medardo Fernández-Chávez y col.

esclarecer más la indicación y priorización de una VCC en menores de 50 años, es necesario identificar la prevalencia y los predictores clínicos de pólipos colónicos y otros hallazgos en la VCC en este subgrupo poblacional.

Existe discusión respecto de la edad de inicio del cribado de CCR mediante VCC en menores de 50 años sin factores de riesgo. La evidencia que avala estas recomendaciones procede solamente de países industrializados. La mayoría de los trabajos se ha limitado a describir poblaciones menores de 50 años, sin comparaciones entre todos los grupos etarios. Una importante limitación en la realización de trabajos semejantes yace en la recuperación, integración y análisis de grandes volúmenes de datos clínicos. No obstante, estos pueden ser gestionados de forma más eficiente a través de estrategias de programación estadística, conocidas como minería de datos.

El Hospital Nacional Profesor Alejandro Posadas (HNPAP) es un hospital terciario responsable de la atención de aproximadamente cuatro millones de habitantes residentes en la zona oeste del Gran Buenos Aires. Es considerado un referente local en varias especialidades médicas, entre estas el manejo de distintas patologías digestivas.

El presente estudio persigue identificar la frecuencia de pólipos colorrectales a partir de informes de VCC realizados a pacientes de cualquier edad en el HNPAP, mediante minería de datos. De esta forma se busca, además, establecer aquellos factores asociados a la presencia de pólipos en general y adenomas/aserrados y, en lo posible, establecer un valor de corte etario para el inicio del cribado de CCR.

Materiales y métodos

Diseño de estudio

Se diseñó el denominado Polyps in Adults Less than fifty (L en número romano) years old from a Tertiary Academic Argentinian hospital (PALTA). Se trata de un estudio observacional de cohorte retrospectivo. Se consideró como casos dos desenlaces: la presencia de pólipos colorrectales en general, o adenoma/aserrado (se explica más adelante). El diseño de PALTA se adhirió a la normativa Strengthening the Reporting of Observational studies in Epidemiology (STROBE).6 Se analizaron las VCC realizadas en el HNPAP y documentadas en una base de datos de recuperación consecutiva entre enero de 2015 y diciembre de 2019.

Población y muestra

Criterios de inclusión. Se incluyó a pacientes de cualquier edad y de ambos géneros, en quienes se realizó cuando menos una VCC en el HNPAP, independientemente del contexto clínico en que dicho procedimiento

Pólipos colorrectales en menores vs mayores de 50 años

hubiera sido solicitado. Dado que se trata de un estudio observacional, no se excluyeron aquellos casos en los que se haya realizado una VCC incompleta, o en los que se haya identificado algún otro tipo de lesiones orgánicas (ejemplo: EII) al unísono de una lesión premaligna o maligna de interés para este estudio.

Criterios de exclusión. Sin embargo, sí fue objeto de exclusión todo caso en el que no se contara con la información necesaria para los fines de este estudio.

Procedimiento y técnica

Recuperación de casos con pólipos. Durante el mes de julio de 2021, se recuperó una base de datos de VCC en formato de MS Access, correspondiente al período de estudio. Mediante minería de datos, se extrajeron directamente aquellos casos en los que se documentó cuando menos un pólipo colorrectal. Para tal fin, se utilizó como estrategia de búsqueda palabras claves tales como “pólip”, “plano” o “plana”, con las respectivas combinaciones de mayúsculas y acentos (ejemplo: “Pólip”, “pòlip”, “POLIP”, etc.). En caso de no contarse con algún dato de relevancia como la edad, la fecha o el motivo del procedimiento, los hallazgos, etc., se procedió a recuperar manualmente tal información a partir del sistema hospitalario del HNPAP (SigHAP) o del expediente físico. No obstante, si dicha información no pudo ser recuperada, tales casos fueron excluidos del estudio.

Recuperación de anatomía patológica. En aquellos con pólipos colorrectales, se recuperaron los informes de anatomía patológica (AP) nuevamente de forma manual. Los informes de AP fueron integrados a la base de datos de VCC a partir del número de documento nacional de identidad (DNI) de cada paciente. A fin de evitar conflictos de compatibilidad entre casos con más de una VCC, dicha integración fue estratificada de forma mensual. Las integraciones con conflictos fueron resueltas manualmente. Finalmente, se extrajeron los distintos subtipos histológicos de cada caso de forma semejante a como se identificó cada pólipo, es decir, utilizando términos claves semejantes a: “HIPERPL”, “HAMARTOMATO”, “SEUDO”, “INFLAMAT”, “ASERRAD”, etcétera.

Análisis estadístico

Consideraciones técnicas. Se consideró un valor p < 0,05 como estadísticamente significativo. La base de datos fue analizada en el programa estadístico R v.4.0 (R Foundation for Statistical Computing; Viena, Austria).

Estimación de la muestra. Se realizó un censo de todos los casos disponibles en la base de datos de VCC del nosocomio anfitrión.

Medardo Fernández-Chávez y col.

Minería de datos (data mining). Se define como el proceso de analizar grandes volúmenes de datos estructurados o no estructurados para extraer información útil, identificar patrones, tendencias ocultas y correlaciones. Se analizó un importante volumen de informes de VCC y AP, a partir de la extracción de palabras claves que permitieran identificar el motivo de atención y los hallazgos endoscópicos histológicos. Para ello, se empleó la librería de R gapminder. La integración de los informes de AP a la base de datos de VCC fue realizada mediante la función merge.

Estadística descriptiva. Las variables cuantitativas fueron descritas como media (desviación estándar, DE) o mediana (rango intercuartil, RIC), según correspondiera su distribución estadística (prueba de Kolmógorov-Smirnov, K-S). Las variables cualitativas fueron descritas en frecuencias, tasas o razones. Todas las variables de estudio fueron descritas según los grupos etarios propuestos (< 40, 40-44, 45-49 y ≥ 50 años).

Estadística inferencial. Mediante regresión logística multivariada se estableció la asociación entre las distintas variables del estudio vs. identificación de al menos un pólipo colorrectal. Considerando la edad como variable numérica a evaluar y la identificación de al menos un pólipo colorrectal como variable dicotómica de desenlace, mediante curva ROC se estimó la edad mínima para identificación de pólipos. Se realizó un subanálisis para la identificación de al menos un adenoma.

Nociones éticas

El presente estudio fue aprobado por el Comité de Bioética en Investigación (CEI) del HNPAP (ref. 632LUP0S0/22). Los pacientes enrolados firmaron el respectivo consentimiento informado para fines asistenciales (realización de VCC). Se garantizó la confidencialidad de la identidad del paciente y sus datos tanto personales como clínicos conforme a la Ley Nº 25326 de Protección de Datos Personales (Ministerio de Justicia y Derechos Humanos, República Argentina). El estudio se llevó a cabo de conformidad con el código de Núremberg de 1947 y la Declaración de Helsinki de 1964 y enmiendas posteriores (la última data del 2013).

Resultados

Se recuperaron 4781 VCC/pacientes: 13,1% en < 40 años, 5,8% en 40-44, 8,1% en 45-49 y 71,7% en ≥ 50; 62,1% femenino. El principal motivo de VCC fue diagnóstico en el 62,2%. El 80,4% con buena o excelente preparación (Tabla 1).

Pólipos colorrectales en menores vs mayores de 50 años Medardo Fernández-Chávez y col.

Se identificó al menos un pólipo en el 15,6% de los pacientes < 40 años, 19,4% en el rango 40-44, 21,6% en el de 45-49 y 34,6% en los ≥ 50 ( p < 0,001) (Figura 1).

Tabla 1. Características de las VCC analizadas, según los grupos etarios propuestos

Motivo de VCC, n (%)

BBPS: Boston Bowel Preparation Score; CCR: Cáncer colorrectal; VCC: Video-colonoscopía; a: Prueba chi-cuadrado de Pearson.

Figura 1. Frecuencia de pólipos colorrectales según los distintos grupos etarios (p < 0,001)

Pólipos colorrectales en menores vs mayores de 50 años

De forma semejante se observó un incremento significativamente proporcional a la edad respecto del número de adenomas/aserrados (p < 0,001) (Figura 2).

Medardo Fernández-Chávez y col.

De estos, correspondieron a pólipo aserrado sésil en 8,2%, 5,6%, 8,4%, 7,7% y adenomatoso en 30,6%, 27,8%, 44,6% y 49,5%, respectivamente (Tabla 2).

Figura 2. Frecuencia de adenomas o aserrados según los distintos grupos etarios (p < 0,001)

Adenoma/aserrado

Tabla 2. Características de los pólipos colorrectales analizados (forma, histología, displasia), según los grupos etarios propuestos

Pólipos colorrectales en menores vs mayores de 50 años

Medardo Fernández-Chávez y col.

Continuación Tabla 2. Características de los pólipos colorrectales analizados (forma, histología, displasia), según los grupos etarios propuestos

El riesgo de presentar al menos un pólipo se incrementó significativamente con la edad: de 40-44 años (OR 1,37; IC 95% 0,94 – 1,97; p = 0,10), 45-49 (OR 1,47; IC 95% 1,06 – 2,05; p = 0,02), y ≥ 50 (OR 2,81; IC

95% 2,24 – 3,56; p < 0,001) (Tabla 3). Se estimó como mínimo una edad de 47 años para una VCC de cribado de pólipos en general, y de 48 años para aserrados sésiles o adenomatosos (sensibilidad > 85%).

Tabla 3. Regresión logística multivariada considerando como desenlace la identificación de cuando menos un pólipo colorrectal en general, o adenoma/aserrado

Edad (años) <

(0,94 – 1,97; 0,10)

(1,06 – 2,05; 0,02)

(2,24 – 3,56; < 0,001)

(2,91 – 5,95; < 0,001) Sexo (masculino)

(1,16 – 1,51; < 0,001)

Motivo de VCC

Cribado de CCR -

Otra indicación

Hora (tarde)

Preparación intestinal (BBPS)

(0,73 – 1,00; 0,050)

(0,88 – 1,25; 0,6)

(0,98 – 1,31; 0,088)

(0,47 – 0,71; < 0,001)

BBPS: Boston Bowel Preparation Score; CCR: Cáncer colorrectal; VCC: Video-colonoscopía.

Discusión

(0,82 - 1,21; > 0,9)

(0,88 - 1,37; 0,4)

(0,42 – 0,72; < 0,001)

En este estudio, que incluyó una amplia cohorte de 4781 videocolonoscopías analizadas mediante minería de datos, se observó un incremento significativo y progresivo en la frecuencia de pólipos colorrectales con la edad, evidenciándose su presencia incluso en pacientes menores de 50 años. La detección de al menos un pólipo fue del 15,6% en menores de 40 años, aumentando hasta el

a: Prueba chi-cuadrado de Pearson.

Pólipos colorrectales en menores vs mayores de 50 años

34,6% en mayores de 50 años (p < 0,001), con un patrón similar para adenomas y lesiones aserradas. Asimismo, la edad ≥ 45 años se asoció de manera independiente con mayor riesgo de pólipos, alcanzando un OR de 1,47 para el grupo de 45-49 años y de 2,81 en ≥ 50 años. De manera relevante, el análisis mediante curva ROC permitió estimar un umbral de edad cercano a los 47-48 años para optimizar la detección de pólipos y lesiones precursoras, con adecuada sensibilidad. En conjunto, estos hallazgos refuerzan la presencia no despreciable de lesiones preneoplásicas en individuos jóvenes y aportan evidencia local que cuestiona los puntos de corte tradicionales para el inicio del cribado de cáncer colorrectal.

Un estudio realizado en nativos americanos de Alaska demostró la presencia de pólipos adenomatosos de distinto grado de displasia en un 26% y 40% de los casos entre 40-49 y 50-59 años de edad. Sin embargo, la forma, localización e histología no diferían significativamente entre ambos grupos etarios. Considerándose como alta la frecuencia hallada en < 50 años, se concluyó la necesidad de un cribado a partir de los 40 años.7

No obstante, también existe evidencia latinoamericana al respecto. Un estudio colombiano en el que se consideró como casos y controles pacientes entre 45-49 y 5075 años demostró una frecuencia de pólipos colorrectales del 36,7% y 42,5%; y de adenomas/aserrados del 18,5% y 32,4%, respectivamente. De forma semejante, se concluyó que el inicio del cribado del CCR mediante VCC debe ser a los 45 años.8

Un análisis de costo efectividad realizado a partir de una cohorte portuguesa entre 1993 al 2010 concluyó que si bien existe un incremento en la incidencia y mortalidad de CCR en pacientes entre 45-55 años, el beneficio del cribado en esta población no tendría costo-utilidad a menos que la incidencia de esta neoplasia ascienda a 47,5 por cada 100.000 habitantes, siendo actualmente de 30.9

Este estudio retrospectivo representa una de las pocas iniciativas recientes de análisis de una base de datos extensa de VCC en Argentina. Como se mencionó anteriormente, se estimó como mínimo una edad de 47 años para una VCC de cribado de pólipos en general, y de 48 años para aserrados sésiles o adenomatosos. Aunque estandarizar una disminución en la edad de corte de cribado de CCR en una población requiere más evidencia y de mayor calidad, estos resultados indican la posibilidad de identificar pólipos y adenomas en menores de 50 años, manteniendo una sensibilidad mayor al 80%.

Fortalezas y limitaciones del estudio

El presente estudio cuenta con varias fortalezas. Por

Medardo Fernández-Chávez y col.

un lado, el importante tamaño de la muestra, la comparación con pacientes mayores de 50 años, y el desenlace definido en términos de pólipos en general, adenoma/ aserrado. Entre sus limitaciones se destaca que los datos corresponden a una sola institución hospitalaria, antes que a nivel local o nacional; asimismo, el hecho de que se tratara de una base de datos que no es completamente de cribado de CCR. En realidad, más del 80% de los casos presentaron algún síntoma o se encontraban en seguimiento por alguna preexistencia. Una mayor identificación de pólipos o adenomas es posible en quienes cursan con hematoquecia.10

La superación de esta limitación técnica permitiría analizar la base de datos considerando como unidad de observación el pólipo colorrectal, anidado a la VCC, y esta, a su vez, anidada a cada paciente. De esta forma, varios subanálisis que consideren el tamaño y la localización de cada pólipo colorrectal serían también posibles. Finalmente, el seguimiento de los casos a largo plazo enriquecería este tipo de trabajos.

Conclusión

En conclusión, aunque los resultados de PALTA no describen la frecuencia de pólipos colorrectales en una población general, sí demuestran el incremento significativo aun en < 50 años, en una importante muestra hospitalaria. Se sugiere reducir en dos a tres años la edad de corte de inicio de cribado de CCR. Una mayor identificación de pólipos o adenomas está significativamente asociada a factores tales como: edad mayor a 45 años, sexo masculino, y una excelente preparación intestinal. Una mala preparación intestinal está significativamente asociada con una menor identificación tanto de pólipos como de adenomas. Es necesario evaluar el inicio del cribado de CCR mediante VCC a una edad más temprana.

Consentimiento para la publicación. Se obtuvo el consentimiento informado por escrito del paciente o su padre, tutor o familiar, para la publicación de los datos y/o imágenes clínicas en beneficio de la ciencia. La copia del formulario de consentimiento se encuentra disponible para los editores de esta revista.

Propiedad intelectual. Los autores declaran que los datos, las figuras y las tablas presentes en el manuscrito son originales y se realizaron en sus instituciones pertenecientes.

Financiamiento. Los autores declaran que no hubo fuentes de financiación externas.

Pólipos colorrectales en menores vs mayores de 50 años

Conflicto de interés. Los autores declaran no tener conflictos de interés en relación con este artículo.

Aviso de derechos de autor © 2026 Acta Gastroenterológica Latinoamericana. Este es un artículo de acceso abierto publicado bajo los términos de la Licencia Creative Commons Attribution (CC BY-NC-SA 4.0), la cual permite el uso, la distribución y la reproducción de forma no comercial, siempre que se cite al autor y la fuente original

Cite este artículo como: Fernández-Chávez M, PaizTierno J, Vella-Milagro A y col. Frecuencia de pólipos colorrectales en menores vs mayores de cincuenta años: análisis de 4718 videocolonoscopías mediante minería de datos. Acta Gastroenterol Latinoam. 2026;56(1):78-85. https:// doi.org/10.52787/agl.v56i1.581

Referencias

1. Screening for colon and rectal cancer in average-risk adults. CA Cancer J Clin [Internet]. 2018;68(4):282-3. Disponible en: https:// pubmed.ncbi.nlm.nih.gov/29846949/DOI: 10.3322/CAAC.21458

2. Pamudurthy V, Lodhia N, Konda VJA. Advances in endoscopy for colorectal polyp detection and classification. Baylor University Medical Center Proceedings. 2020;33(1):28-35. DOI: 10.1080/08998280.2019.1686327

Medardo Fernández-Chávez y col.

3. Andrew AS, Parker S, Anderson JC, Rees JR, Robinson C, Riddle B, et al. Risk Factors for Diagnosis of Colorectal Cancer at a Late Stage: a Population-Based Study. J Gen Intern Med. 2018;33(12):2100-5. DOI: 10.1007/s11606-018-4648-7

4. Conway AA, Gerry JM, Sacco F, Wren SM. High Prevalence of Adenomatous Polyps in Alaska Native People Aged 40-49 years. Journal of Surgical Research. 2019;243:524-30. DOI: 10.1016/j. jss.2019.07.004

5. Nagpal SJS, Mukhija D, Sanaka M, Lopez R, Burke CA. Metachronous colon polyps in younger versus older adults: a case-control study. Gastrointest Endosc. 2018;87(3):657-65. DOI: 10.1016/ j.gie.2017.05.011

6. Cuschieri S. The STROBE guidelines. Saudi journal of anaesthesia. 2019; 13(1): S31-S34.

7. Andrew AS, Parker S, Anderson JC, Rees JR, Robinson C, Riddle B, et al. Risk Factors for Diagnosis of Colorectal Cancer at a Late Stage: a Population-Based Study. J Gen Intern Med [Internet]. 2018. Disponible en: https://wisdom.dhhs.nh.gov/DOI: 10.1007/s11606-018-4648-7

8. Cano D, Otero W, Gómez M, Marulanda H. [Comparative prevalence of adenomatous polyps in people aged 45 to 49 years and in people over 50 years of age in a Colombian population: a case-control study]. Rev Gastroenterol Peru [Internet]. 2021;41(3):150-5. Disponible en: https://pubmed.ncbi.nlm.nih.gov/34978551/ DOI: 10.47892/rgp.2021.413.1307

9. Currais P, Mão De Ferro S, Areia M, Marques I, Mayer A, Dias Pereira A, et al. Should Colorectal Cancer Screening in Portugal Start at the Age of 45 Years? A Cost-Utility Analysis. Research Article GE Port J Gastroenterol [Internet]. 1993;28:311-8. Disponible en: www.karger.com/pjg DOI: 10.1159/000513592

10. Saks K, Enestvedt BK, Holub JL, Leberman D. Colonoscopy Identifies Increased Prevalence of Large Polyps or Tumors in Patients 40-49 Years Old with Hematochezia vs Other Gastrointestinal Indications. Clin Gastroenterol Hepatol. 2016;14(6):8439. DOI: 10.1016/j.cgh.2015.12.046.Colonoscopy

Frequency of Colorectal Polyps in Patiens

Younger vs. Older Than Fifty Years: Analysis of 4718 Colonoscopies Through Data Mining

Medardo Fernández-Chávez1 · Juliana Paiz-Tierno1 · Adriana Vella-Milagro1 · Santiago Arcentales-Peralta1 · Leonardo Aveiga-Cedeño1 · María Carolina Conlon1 · Renata Alina Spiazzi1 · María Jimena Cerezo1 · Ana Omonte-Zambrana1 · María Claudia Milano1 Fátima Fernández2 · Ricardo Gotti2 · Miguel Puga-Tejada1

1Gastroenterology Department, Professor Alejandro Posadas National Hospital (HNPAP); El Palomar, Buenos Aires Province, Argentina.

2Endoscopy Department, National Hospital Professor Alejandro Posadas (HNPAP); El Palomar, Buenos Aires Province, Argentina.

Acta Gastroenterol Latinoam 2026;56(1):86-93

Received: 21/12/2025 / Accepted: 23/03/2026 / Published online: 31/03/2026 / https://doi.org/10.52787/agl.v56i1.581

Summary

Introduction. There are different recommendations regarding the age at which colorectal cancer screening should begin using video colonoscopy (VC) in individuals under 50 years of age. Aim. To analyze the frequency of colorectal polyps in patients of any age, using data mining (DM) from a VC registry. Materials and methods. A prospective colonoscopies registry (January 2015-December 2019) was analyzed. Cases with at least one polyp were retrieved using DM, along with the characteristics of each case and polyp, and were compared according to age. Results. A total of 4,781 colonoscopies were retrieved from patients: 13.1% in those < 40 years old, 5.8% in those 40-44, 8.1% in 45-49, and 71.7% in those ≥ 50;

62.1% were female, and 62.2% were diagnostic VC. At least one polyp was identified in 15.6% of patients < 40 years old, 19.4% in those 40-44, 21.6% in those 45-49, and 34.6% in those ≥ 50 (p < 0.001). Of these, sessile serrated polyps were found in 8.2%, 5.6%, 8.4%, and 7.7%, and adenomatous polyps in 30.6%, 27.8%, 44.6%, and 49.5%, respectively. The risk of having at least one polyp increased significantly with age: 45–49 (OR 1.47; 95% CI 1.06–2.05; p = 0.02), and ≥ 50 (OR 2.81; 95% CI 2.24–3.56; p < 0.001). A minimum age of 47 years was estimated for polyps screening, and 48 years for sessile or adenomatous serrated polyps (sensitivity > 85%). Conclusion. The results of this study demonstrate a significant increase in colorectal polyps even in individuals < 50 years of age. It is necessary to evaluate colorectal cancer screening using VC at an earlier age.

Keywords. Adults, colorectal cancer, colonic polyps, video colonoscopy, young adults (source: MeSH).

Correspondencia: Miguel Puga-Tejada Correo electrónico: miguel.puga01@hotmail.com

Frecuencia de pólipos colorrectales en menores vs mayores de cincuenta años: análisis de 4718 videocolonoscopías mediante minería de datos

Resumen

Introducción. Existen distintas recomendaciones respecto de la edad de inicio del cribado de cáncer colorrectal (CCR) mediante videocolonoscopía (VCC). Objetivo. Analizar la frecuencia de pólipos colorrectales en pacientes de cualquier edad, a partir de un registro de VCC, mediante minería de datos (MD). Materiales y métodos. Se analizó un registro prospectivo de VCC (enero de 2015-diciembre de 2019). Mediante MD se recuperaron aquellos casos con al menos un pólipo, las características por caso y pólipo, y se comparó según la edad. Resultados. Se recuperaron 4781 VCC/pacientes: 13,1% en < 40 años, 5,8% en 40-44; 8,1% en 45-49 y 71,7% en ≥ 50; 62,1% femenino, 62,2% VCC diagnóstica. Se identificó al menos un pólipo en el 15,6% de los pacientes < 40 años, 19,4% en 40-44, 21,6% en 45-49 y 34,6% en ≥ 50 (p < .001). De estos, correspondieron a pólipo aserrado sésil en 8,2%, 5,6%, 8,4%, 7,7% y adenomatoso en 30,6%, 27,8%, 44,6% y 49,5%, respectivamente. El riesgo de presentar al menos un pólipo se incrementó significativamente con la edad: 45-49 (OR 1.47; IC 95% 1,06 – 2,05; p = 0,02), y ≥ 50 (OR 2,81; IC 95% 2,24 – 3,56; p < 0,001). Se estimó como mínimo una edad de 47 años para una VCC de cribado de pólipos en general, y de 48 años para aserrados sésiles o adenomatosos (sensibilidad > 85%). Conclusión. Los resultados de este estudio demuestran el incremento significativo de pólipos colorrectales aun en < 50 años. Es necesario evaluar el inicio del cribado de CCR mediante VCC a una edad más temprana.

Palabras claves. Adultos, cáncer colorrectal, pólipos colónicos, videocolonoscopía, jóvenes adultos (fuente: MeSH).

Introduction

According to the American Cancer Society, colorectal cancer (CRC) screening is recommended to begin at age 45 in adults without other risk factors.1 Scientific societies in other countries maintain the recommendation to begin screening at age 50. Video colonoscopy (VC) is the gold standard for colorectal cancer (CRC) screening,2 during which colonic polyps may be found. Different follow-up protocols are used depending on the characteristics of these polyps,. Since the prevalence of CRC is much lower in adults under 50 years of age,3 in this age group, the indication for VC is based on medical judgment in response to specific clinical conditions, namely: hematochezia, anemia, constipation, chronic diarrhea, or abdominal pain.4

In these patients, the performance of colonoscopy is delayed by the performance of a battery of prior studies aimed

at ruling out other clinical causes that could be responsible for these conditions.5 In order to further clarify the indication and prioritization of colonoscopy in individuals under 50 years of age, it is necessary to identify the prevalence and clinical predictors of colonic polyps and other findings on colonoscopy in this population subgroup.

There is ongoing debate regarding the age at which CRC screening should begin using VC in individuals under 50 years of age without risk factors. The evidence supporting these recommendations comes only from industrialized countries. Most studies have focused on populations under 50 years of age, without comparisons between all age groups. A significant limitation in conducting such studies lies in the retrieval, integration, and analysis of large volumes of clinical data. However, this data can be managed more efficiently through statistical programming strategies known as data mining.

The Hospital Nacional Profesor Alejandro Posadas (HNPAP) is a tertiary hospital responsible for the care of approximately four million residents in the western part of Greater Buenos Aires. It is considered a local leader in several medical specialties, including the management of various digestive diseases.

This study aims to identify the frequency of colorectal polyps using data mining from VC screening reports for patients of all ages at HNPAP. It also seeks to establish factors associated with the presence of polyps in general and adenomas/serrated polyps in particular, and, if possible, to establish an age cutoff for initiating CRC screening.

Materials and methods

Studio design

We designed the “Polyps in Adults” Less than fifty (L in Roman numeral) years old from a Tertiary Academic Argentinian hospital” (PALTA) registry. This was a retrospective cohort observational study. Two outcomes were considered as cases: the presence of colorectal polyps in general, or adenoma/serrated polyps (explained later). The PALTA design adhered to the Strengthening the Reporting of Observational studies in Epidemiology (STROBE) guidelines.6 Colonoscopies performed at the HNPAP and documented in a consecutively retrieved database between January 2015 and December 2019 were analyzed.

Population and sample

Inclusion criteria. Patients of any age and gender who underwent at least one VC at the HNPAP were included, regardless of the clinical context in which the

Colorectal

procedure was requested. Since this is an observational study, cases with incomplete VC or the identification of other organic lesions (e.g., inflammatory bowel disease) alongside a pre-malignant or malignant lesion of interest to this study were not excluded.

Exclusion criteria. However, any case lacking the necessary information for the purposes of this study was excluded.

Procedure and technique

Retrieval of cases with polyps. During July 2021, a database of video colonoscopies was retrieved in MS Access format, corresponding to the study period. Using data mining, cases with at least one colorectal polyp were directly extracted. For this purpose, keywords such as “polyp” or “flat” (plano, plana) were used as a search strategy, with the respective combinations of capital letters and accents (e.g., “Pólip”, “pòlip”, “POLIP”). If relevant data such as age, date or reason for the procedure, or findings were unavailable, this information was manually retrieved from the HNPAP hospital system (SigHAP) or the physical medical record. However, if this information remained unavailable, those cases were excluded from the study.

Pathology retrieval. For patients with colorectal polyps, pathology reports were manually retrieved. These reports were then integrated into the colonoscopy database using each patient's national identity document (DNI) number. To avoid compatibility conflicts between cases with more than one colonoscopy, this integration was stratified monthly. Integrations with conflicts were resolved manually. Finally, the different histological subtypes for each case were extracted in the same way each polyp was identified, using keywords such as: “HIPERPL”, “HAMARTOMATO”, “SEUDO”, “INFLAMAT”, “ASERRAD”, etc.

Statistical analysis

Technical considerations. A p- value < 0.05 was considered statistically significant. The database was analyzed using the statistical software R v.4.0 (R Foundation for Statistical Computing ; Vienna, Austria).

Sample size estimation. A census was conducted of all cases available in the host hospital's colonoscopy database.

Data mining. This is defined as the process of analyzing large volumes of structured or unstructured data to extract useful information, identify patterns, hidden trends, and correlations. A significant volume of clinical and primary care reports was analyzed, using keywords to identify the reason for consultation and the histological endoscopic findings. The R gapminder library was used for this purpose. Primary care reports were integrated into the clinical and primary care database using the merge function.

Descriptive statistics. Quantitative variables were described as mean (standard deviation, SD) or median (interquartile range, IQR), according to their statistical distribution (Kolmogorov-Smirnov test, K-S). Qualitative variables were described as frequencies, rates, or ratios. All study variables were described according to the proposed age groups (< 40, 40–44, 45–49, and ≥ 50 years).

Inferential statistics. Multivariate logistic regression was used to establish the association between the different study variables and the identification of at least one colorectal polyp. Considering age as the numerical variable to be evaluated, and the identification of at least one colorectal polyp as the dichotomous outcome variable, the minimum age for polyp identification was estimated using a receiver operating characteristic (ROC) curve. A sub-analysis was performed for the identification of at least one adenoma.

Ethical issues

This study was approved by the Research Bioethics Committee (RBC) of the HNPAP (ref. 632LUP0S0/22). Enrolled patients signed the respective informed consent forms for clinical purposes (performance of VC). The confidentiality of patient identity and personal and clinical data was guaranteed in accordance with Law No. 25,326 on the Protection of Personal Data (Ministry of Justice and Human Rights, Republic of Argentina). The study was conducted in accordance with the Nuremberg Code of 1947 and the Declaration of Helsinki of 1964 and subsequent amendments (the latest dating from 2013).

Results

A total of 4781 colonoscopies/patients were recovered: 13.1% in patients < 40 years old, 5.8% in those 4044, 8.1% in those 45-49, and 71.7% in those ≥ 50; 62.1% were female. The main reason for colonoscopy was diagnostic in 62.2% of cases. 80.4% of patients had good or

Colorectal

Colorectal Polyps in Patients Younger Than 50 Years

Table 1. Characteristics of the analyzed colonoscopies, according to the proposed age groups excellent preparation. (Table 1). At least one polyp was identified in 15.6% of patients < 40 years old, 19.4% in the 40-44 age range, 21.6% in the 45-49 age range and 34.6% in those ≥ 50 years old (p < 0.001) (Figure 1).

BBPS: Boston Bowel Preparation Score; CCR: Cáncer colorectal; a: Pearson's chi-squared test.

Figure 1. Frequency of colorectal polyps according to the different age groups (p < 0.001)

Colorectal Polyps in Patients Younger Than 50 Years

Similarly, a significantly age-related increase in the number of adenomas/serrated lesions was observed (p < 0.001) (Figure 2).

Of these, sessile serrated polyps were present in 8.2%, 5.6%, 8.4%, and 7.7%, and adenomatous polyps in 30.6%, 27.8%, 44.6%, and 49.5%, respectively (Table 2).

Figure 2. Frequency of adenomas or serrated lesions according to the different age groups (p < 0.001).

Table 2. Characteristics of the analyzed colorectal polyps (shape, histology, dysplasia), according to the proposed age groups

Colorectal Polyps in Patients Younger Than 50 Years

Continuation Table 2. Characteristics of the analyzed colorectal polyps (shape, histology, dysplasia), according to the proposed age groups

a: Pearson's chi-squared test.

The risk of having at least one polyp increased significantly with age: 40–44 years (OR 1.37; 95% CI 0.94–1.97; p = 0.10), 45–49 (OR 1.47; 95% CI 1.06–2.05; p = 0.02), and ≥ 50 (OR 2.81; 95% CI 2.24 – 3.56; p < 0.001) (Table 3). A minimum age of 47 years was estimated for a general polyp screening, and 48 years for serrated sessile or adenomatous polyps (sensitivity > 85%).

Table 3. Multivariate logistic regression considering as outcome the identification of

or adenoma/serrated

Sex (male)

(1.16 – 1.51; < 0.001)

BBPS: Boston Bowel Preparation Score; CCR: Cáncer colorrectal.

Discussion

This study, which included a large cohort of 4,781 video colonoscopies analyzed using data mining, showed a significant and progressive increase in the frequency of colorectal polyps with age, with their presence even evident in patients under 50 years of age. The detection of at least one polyp was 15.6% in those under 40 years of age, increasing to 34.6% in those

over 50 years of age ( p < 0.001), with a similar pattern for adenomas and serrated lesions. Importantly, ROC curve analysis allowed for the estimation of an age threshold close to 47–48 years for optimizing the detection of polyps and precursor lesions, with adequate sensitivity. Taking together, these findings reinforce the significant presence of preneoplastic lesions in young individuals and provide local evidence that challenges traditional cut-off points for initiating colorectal cancer screening.

A study conducted in Alaska Natives demonstrated the presence of adenomatous polyps of varying degrees of dysplasia in 26% and 40% of cases between 40-49 and 50-59 years of age, respectively. However, the shape, location, and histology did not differ significantly between the two age groups. Considering the high frequency found in those under 50 years of age, the study concluded that screening should begin at age 40.7

However, there is also Latin American evidence on this matter. A Colombian study that considered patients aged 45-49 and 50-75 as cases and controls demonstrated a frequency of colorectal polyps of 36.7% and 42.5%, and of adenomas/serrate polyps of 18.5% and 32.4%, respectively. Similarly, it was concluded that CRC screening using visualization should begin at age 45. 8

A cost-effectiveness analysis based on a Portuguese cohort from 1993 to 2010 concluded that although there is an increase in the incidence and mortality of CRC in patients between 45-55 years of age, the benefit of screening in this population would not be cost-effective unless the incidence of this neoplasm rises to 47.5 per 100,000 inhabitants, currently being 30.9

This retrospective study represents one of the few recent initiatives analyzing a large CRC screening database in Argentina. As mentioned previously, a minimum age of 47 years was estimated for CCS screening for polyps in general, and 48 years for sessile or adenomatous serrated adenomas. Although standardizing a lower age cutoff for CRC screening in a population requires more and higher-quality evidence, these results indicate the possibility of identifying polyps and adenomas in individuals under 50 years of age, while maintaining a sensitivity greater than 80%.

Strengths and limitations of the study

This study has several strengths. These include a large sample size, comparisons with patients over 50 years of age, and a clearly defined outcome in terms of polyps in general, and adenomas/serrated polyps.

Among its limitations, it is worth noting that the data comes from a single hospital, rather than at a local or national level; furthermore, the database is not entirely dedicated to CRC screening. In fact, more than 80% of the cases presented with some symptom or were being monitored for a pre-existing condition. Increased identification of polyps or adenomas is possible in patients with hematochezia.10

Overcoming this technical limitation would allow for analysis of the database using the colorectal polyp as the unit of observation, nested within the colorectal volume (CCV), and this, in turn, nested within each patient. This would also allow for several sub-analyses that consider the size and location of each colorectal polyp. Finally, long-term case follow-up would enrich this type of research.

Conclusión

In conclusion, although the PALTA results do not describe the frequency of colorectal polyps in the general population, they do demonstrate a significant increase, even in individuals under 50 years of age, in a large hospital sample. It is suggested that the age cutoff for initiating CRC screening be reduced by two to three years. A higher identification of polyps or adenomas is significantly associated with factors such as age over 45 years, male sex, and excellent bowel preparation. Poor bowel preparation is significantly associated with a lower identification of both polyps and adenomas. It is necessary to evaluate initiating CRC screening using video colonoscopy at an earlier age.

Consent for publication. Written informed consent was obtained from the patients for participation and publication of this case.

Intellectual property. The authors declare that the data, figures and tables in this article are original and were carried out at their institutions.

Funding. The authors declare that there were no external sources of funding.

Conflict of interest. The authors declare that they have no conflicts of interest in relation to this article.

Colorectal

Colorectal Polyps in Patients Younger Than 50 Years

Copyright © 2026 Acta Gastroenterológica latinoamericana. This is an openaccess article released under the terms of the Creative Commons Attribution (CC BY-NCSA 4.0) license, which allows non-commercial use, distribution, and reproduction, provided the original author and source are acknowledged.

Cite este artículo como: Fernández-Chávez M, PaizTierno J, Vella-Milagro A et al. Frequency of Colorectal Polyps in Patiens Younger vs. Older Than Fifty Years: Analysis of 4718 Colonoscopies Through Data Mining. Acta Gastroenterol Latinoam. 2026;56(1):86-93. https:// doi.org/10 52787/agl v56i1.581

References

1. Screening for colon and rectal cancer in average-risk adults. CA Cancer J Clin [Internet]. 2018;68(4):282-3. Disponible en: https:// pubmed.ncbi.nlm.nih.gov/29846949/DOI: 10.3322/CAAC.21458

2. Pamudurthy V, Lodhia N, Konda VJA. Advances in endoscopy for colorectal polyp detection and classification. Baylor University Medical Center Proceedings. 2020;33(1):28-35. DOI: 10.1080/08998280.2019.1686327

3. Andrew AS, Parker S, Anderson JC, Rees JR, Robinson C, Riddle B, et al. Risk Factors for Diagnosis of Colorectal Cancer at a Late Stage: a Population-Based Study. J Gen Intern Med. 2018;33(12):2100-5. DOI: 10.1007/s11606-018-4648-7

Medardo Fernández-Chávez et al.

4. Conway AA, Gerry JM, Sacco F, Wren SM. High Prevalence of Adenomatous Polyps in Alaska Native People Aged 40-49 years. Journal of Surgical Research. 2019;243:524-30. DOI: 10.1016/j. jss.2019.07.004

5. Nagpal SJS, Mukhija D, Sanaka M, Lopez R, Burke CA. Metachronous colon polyps in younger versus older adults: a case-control study. Gastrointest Endosc. 2018;87(3):657-65. DOI: 10.1016/ j.gie.2017.05.011

6. Cuschieri S. The STROBE guidelines. Saudi journal of anaesthesia. 2019; 13(1): S31-S34.

7. Andrew AS, Parker S, Anderson JC, Rees JR, Robinson C, Riddle B, et al. Risk Factors for Diagnosis of Colorectal Cancer at a Late Stage: a Population-Based Study. J Gen Intern Med [Internet]. 2018. Disponible en: https://wisdom.dhhs.nh.gov/DOI: 10.1007/s11606-018-4648-7

8. Cano D, Otero W, Gómez M, Marulanda H. [Comparative prevalence of adenomatous polyps in people aged 45 to 49 years and in people over 50 years of age in a Colombian population: a case-control study]. Rev Gastroenterol Peru [Internet]. 2021;41(3):150-5. Disponible en: https://pubmed.ncbi.nlm.nih.gov/34978551/ DOI: 10.47892/rgp.2021.413.1307

9. Currais P, Mão De Ferro S, Areia M, Marques I, Mayer A, Dias Pereira A, et al. Should Colorectal Cancer Screening in Portugal Start at the Age of 45 Years? A Cost-Utility Analysis. Research Article GE Port J Gastroenterol [Internet]. 1993;28:311-8. Disponible en: www.karger.com/pjg DOI: 10.1159/000513592

10. Saks K, Enestvedt BK, Holub JL, Leberman D. Colonoscopy Identifies Increased Prevalence of Large Polyps or Tumors in Patients 40-49 Years Old with Hematochezia vs Other Gastrointestinal Indications. Clin Gastroenterol Hepatol. 2016;14(6):8439. DOI: 10.1016/j.cgh.2015.12.046.Colonoscopy

Insuficiencia pancreática exocrina en cirrosis hepática: estudio de corte transversal

Víctor Henríquez Auba1 · Carmen Hurtado2 · Carla Mancilla Asencio1 · Pauline Herman1 Alexandra Neman3 · Zoltán Berger1

1Servicio de Gastroenterología, Departamento de Medicina Interna.

2Laboratorio de Gastroenterología, Servicio de Gastroenterología, Departamento de Medicina Interna.

3Facultad de Medicina, Universidad de Chile.

Hospital Clínico Universidad de Chile. Chile.

Acta Gastroenterol Latinoam 2026;56(1):94-101

Recibido: 16/12/2025 / Aceptado: 19/03/2026 / Publicado online: 31/03/2026 / https://doi.org/10.52787/agl.v56i1.579

Resumen

Introducción. La malnutrición y sarcopenia aumentan la morbi-mortalidad en pacientes cirróticos. La insuficiencia pancreática exocrina agrava el déficit nutricional. Objetivo. Evaluar la función exocrina del páncreas mediante elastasa fecal en pacientes con cirrosis hepática por alcohol y otras causas. Materiales y métodos. Estudio transversal, descriptivo en pacientes con cirrosis a los que se les realizó una elastasa fecal en el Hospital Clínico Universidad de Chile entre febrero de 2016 y julio de 2023. Se evaluaron varia-

bles demográficas, clínicas, nutricionales y de sobrevida. Resultados. Se estudiaron 85 pacientes, mediana de edad de 60 años. Las etiologías más frecuentes fueron consumo de alcohol en 40 (47%) e hígado graso metabólico en 21 (25%). De los 85 pacientes, el 88% presentó elastasa fecal > a 200 µg/g, un 5% 100-199 µg/g y un 7% < 100 µg/g. La elastasa fecal fue significativamente menor en cirróticos alcohólicos versus otras etiologías (p = 0,003). De los pacientes con cirrosis por alcohol un 20% presentó elastasa fecal < 200 µg/g (15% < 100 µg/g). Los pacientes que bebían >20 g/día de alcohol tuvieron elastasa fecal significativamente menor (p = 0,013) que aquellos que bebían menos. Conclusión. En pacientes con cirrosis por alcohol, encontramos un 20% de elastasa fecal disminuida. El consumo > 20g/día de alcohol se asocia a menores niveles de elastasa fecal. Considerando que la malnutrición y sarcopenia inciden en el pronóstico y que la insuficiencia pancreática exocrina puede no ser clínicamente evidente, consideramos que podría justificarse la medición de elastasa fecal en pacientes con cirrosis por alcohol, en particular cuando existe déficit nutricional.

Correspondencia: Carla Mancilla Asencio Correo electrónico: carlitamancilla@yahoo.com

Palabras claves. Elastasa, insuficiencia pancreática, cirrosis.

Insuficiencia pancreática exocrina en cirrosis hepática: estudio de corte transversal

Exocrine Pancreatic Insufficiency in Hepatic Cirrhosis: a Cross-Sectional Study

Summary

Introduction. Malnutrition and sarcopenia increase morbidity and mortality in patients with liver cirrhosis. Exocrine pancreatic insufficiency may further worsen nutritional deficits. Aim. To evaluate exocrine pancreatic function using fecal elastase in patients with liver cirrhosis due to alcohol and other causes. Materials and methods. Cross-sectional descriptive study including patients with cirrhosis who underwent fecal elastase testing at the Hospital Clínico Universidad de Chile between February 2016 and July 2023. Demographic, clinical, nutritional, and survival variables were evaluated. Results. Eighty-five patients were included, with a median age of 60 years. The most frequent etiologies were alcohol consumption in 40 patients (47%) and metabolic dysfunction–associated steatotic liver disease in 21 (25%). Of the 85 patients, 88% had fecal elastase > 200 µg/g, 5% had values between 100 - 199 µg/g, and 7% had values < 100 µg/g. Fecal elastase levels were significantly lower in patients with alcohol-related cirrhosis compared with those with other etiologies (p = 0.003). Among patients with alcohol-related cirrhosis, 20% had fecal elastase < 200 µg/g (15% < 100 µg/g). Patients consuming > 20 g/day of alcohol had significantly lower fecal elastase levels (p = 0.013) than those with lower consumption. Conclusion. In patients with alcohol-related cirrhosis, we found a 20% prevalence of reduced fecal elastase. Alcohol consumption > 20 g/day was associated with lower fecal elastase levels. Considering that malnutrition and sarcopenia influence prognosis and that exocrine pancreatic insufficiency may be clinically silent, measurement of fecal elastase could be justified in patients with alcohol-related cirrhosis, particularly when nutritional deficits are present.

Keywords. Elastase, pancreatic insufficiency, cirrhosis.

Abreviaturas

IPE: Insuficiencia Pancreática Exocrina.

EF: Elastasa Fecal.

IMC: Índice de Masa Corporal.

PC: Pancreatitis Crónica.

Mancilla Asencio y col.

MASLD: Metabolic Dysfunction-Associated Steatotic Liver Disease.

Introducción y objetivos

La relación entre la función exocrina del páncreas y la enfermedad hepática es compleja, con información discordante en la literatura. Mientras estudios en humanos y animales sugieren un estado de hipersecreción pancreática en cirrosis, otros muestran una disminución de la función exocrina. Los estudios de Turnberg, Renner y Hayakawa y col. describieron un aumento en el volumen del jugo pancreático y de la secreción de bicarbonato y electrolitos en respuesta a la estimulación con secretina-colecistokinina (CCK) en pacientes cirróticos, en comparación con controles, especulándose una disminución del clearance hepático de secretinaCCK como mecanismo fisiopatológico entre otros. 1-3 Por el contrario, Sakai y col. encontró una disminución en la excreción urinaria de ácido para-amino benzoico (PABA) en pacientes cirróticos comparados con pacientes con hepatitis crónica sin cirrosis, concluyendo una disminución de la función pancreática exocrina en los primeros. 4 Rabih y col., encontraron un 55% de insuficiencia pancreática exocrina (IPE) en pacientes con enfermedad hepática alcohólica estudiados con triglicéridos marcados en aire espirado ( 13C-mixed triglyceride breath test), 5 mientras que Aparisi y col. evaluaron la función pancreática exocrina mediante elastasa fecal (EF) en pacientes alcohólicos, encontrando valores < 200 ug/g en 7% de los cirróticos. 6

Por otro lado, el abuso de alcohol es un factor común de daño hepático y pancreático que podría condicionar la presencia de IPE en pacientes con cirrosis de etiología alcohólica. 7, 8

Determinar la presencia de IPE en pacientes con cirrosis hepática es clínicamente relevante. La malnutrición y sarcopenia aumentan la morbi-mortalidad en estos pacientes y deterioran el pronóstico postrasplante. 9, 10, 11 La medición de EF mediante inmunoensayo enzimático (ELISA) como medida de la función exocrina del páncreas es un test indirecto, no invasivo, de elevada sensibilidad y especificidad para detectar niveles moderados y severos de IPE. 12 Un valor de < 100 apoya el diagnóstico de IPE severa con alta probabilidad, mientras que valores entre 100 y 200 deben interpretarse con más precaución, considerando evaluaciones complementarias (déficit de vitaminas lipo -

Carla

Insuficiencia pancreática exocrina en cirrosis hepática: estudio de corte transversal

solubles, presencia de sarcopenia, etc) para definir su real impacto clínico.

Considerando la contribución de la IPE al estado de malnutrición en pacientes con cirrosis hepática y su importancia en el pronóstico, el objetivo del presente estudio fue evaluar la función pancreática exocrina en pacientes con cirrosis hepática de etiología alcohólica y no alcohólica, mediante la medición de EF.

Materiales y métodos

Estudio observacional, transversal y analítico realizado en el Hospital Clínico Universidad de Chile, entre febrero de 2016 y julio de 2023. Se incluyeron pacientes con diagnóstico de cirrosis hepática, mayores de 18 años. El diagnóstico de cirrosis hepática se basó en la presencia de elementos clínicos e imágenes avanzadas (tomografía computada o resonancia magnética). De manera adicional, en algunos casos se dispuso de diagnóstico histológico, lo que no se consideró necesario para la inclusión. La determinación de elastasa fecal se realizó a pacientes consecutivos, que aceptaron realizarse el examen, sin selección según criterios clínicos. Se excluyeron pacientes con otras causas de IPE como antecedente de pancreatectomía, pancreatitis necrotizante, cáncer de páncreas, obstrucción pancreática o resección gástrica. No se excluyeron pacientes con pancreatitis crónica, dada la eventual asociación con enfermedad hepática alcohólica. La EF se realizó en el laboratorio de gastroenterología por ELISA cuantitativo (ScheBo, Alemania), asegurando muestra sólida de deposiciones. Se consideró suficiencia pancreática un valor > 200 µg/g, insuficiencia exocrina moderada entre 100 y 200 µg/g e insuficiencia exocrina severa < 100 µg/g. Se obtuvieron de la historia clínica datos de variables demográficas, clínicas y de laboratorio e imágenes. El consumo diario de alcohol fue estimado según encuesta realizada por el médico tratante. Los pacientes catalogados como cirrosis por hígado graso metabólico (Metabolic Dysfunction-Associated Steatotic Liver Disease [MASLD]) consumieron menos de 20 g/día de alcohol.13

Análisis estadístico

El análisis de resultados fue realizado usando estadística descriptiva y analítica. Las variables categóricas se describieron mediante frecuencia absoluta y porcentaje. Las variables continuas con mediana, valor mínimo y máximo, ya que no se distribuyeron normalmente. Se compararon variables demográficas, clínicas y los niveles de EF entre los pacientes con cirrosis asociada a consumo de alcohol y las otras etiologías mediante

Mancilla Asencio y col.

Mann Whitney y test de chi 2 o test exacto de Fisher. Se consideró un p < 0,05 como estadísticamente significativo. Se utilizó el programa esta-dístico STATA SE 17.0 (StataCorp, Texas, USA).

Consideraciones éticas

El proyecto fue aprobado por el Comité de Ética del Hospital Clínico Universidad de Chile y autorizado por la Dirección Médica. Los pacientes firmaron consentimiento informado para participar del estudio. Se resguardó la confidencialidad de la información al momento de la revisión de los datos y el análisis estadístico se realizó con datos anonimizados.

Resultados

Se identificaron 85 pacientes con cirrosis a los que se midió la EF en el período estudiado, 32 mujeres y 53 hombres, con una mediana de edad de 60 años (rango 29 – 78 años). La etiología de la cirrosis más frecuente fue por consumo de alcohol en 40 pacientes (47%), seguida por MASLD en 21 (25%), inmunológicas (hepatitis autoinmune, colangitis biliar primaria y sobreposición) en 18 pacientes (21%), etiología viral y otras causas en 6 pacientes (7%). De los pacientes con cirrosis por consumo de alcohol, 36 de 40 (90%) bebía más de 40 gramos diarios de alcohol. Con respecto a la cirrosis, la mediana de MELD-Na fue de 19 (rango 6 - 30), con un 55% de los pacientes clasificados como Child - Pugh C, 27% Child - Pugh B y 18% ChildPugh A. La mediana de IMC fue de 26 kg/m 2 (rango 18 - 39,8 kg/m2) y la de albúmina fue de 3,3 g/dl (rango 2 - 5,5 g/dl) (Tabla 1).

Se analizaron los estudios de imágenes disponibles, ya sea resonancia magnética o tomografía computada de abdomen. De los 85 pacientes, 83 presentaban un páncreas morfológicamente normal, 2 pacientes presentaban imagen compatible con pancreatitis crónica (PC) calcificante con atrofia, ambos con etiología alcohólica.

Se compararon las características demográficas de los pacientes con cirrosis por consumo de alcohol y cirrosis por otras etiologías, no presentando diferencia estadísticamente significativa en edad, IMC, albúmina sérica, MELD-Na ni clasificación de Child - Pugh. Se encontró una diferencia estadísticamente significativa en el sexo, donde el 83% de los pacientes que presentaban cirrosis por consumo de alcohol eran hombres, mientras que en las otras etiologías correspondía al 44% (Tabla 1).

Insuficiencia pancreática exocrina en cirrosis hepática: estudio de corte transversal

Tabla 1. Comparación de características demográficas y clínicas en pacientes con cirrosis por consumo de alcohol y otras etiologías

Edad (años)

(mediana; min-max)

Sexo masculino

(n; %)

IMC (kg/m²)

(mediana; min-max)

(g/dl)

(mediana; min-max)

MELD-Na

(mediana; min-max)

Child-Pugh (n; %)

A

Nivel EF µg/g

(mediana; min-max)

IMC: Índice de masa corporal, EF: Elastasa fecal. Variable

(29

Los valores obtenidos de EF abarcaron desde 15 a 500 µg/g, con una mediana de 500 µg/g. Cabe destacar que los valores ≥ 500 µg/g fueron reportados como 500 µg/g por el laboratorio, por lo que la distribución presenta un efecto de truncamiento superior. El 88% de los pacientes (75/85) presentaba valores mayores a 200 µg/g, un 5% (4/85) entre 100 y 199 µg/g y un 7% (6/85) tenía valores menores a 100 µg/g.

La mediana de EF en pacientes con cirrosis de etiología alcohólica (444 µg/g; rango 15-500) fue menor que en pacientes con cirrosis por otras etiologías (500 µg/g; rango 173-500), siendo esta diferencia estadísticamente significativa ( p = 0,003). Se encontró una EF menor a 200 µg/g en un 20% (8/40) de los pacientes con cirrosis por consumo de alcohol versus un 4% (2/45) en la cirrosis por otras etiologías ( p = 0,049). Entre estos pacientes, la EF fue menor a 100 µg/g en un 15% (6/40) de los pacientes con cirrosis por consumo de alcohol no observándose en ningún paciente en cirrosis por otras etiologías ( p = 0.0025) (Figura 1). Al evaluar el valor de EF según el consumo diario de alcohol se encontró que en

los pacientes que bebían más de 20 g al día de alcohol el valor mediano de EF (454 µg/g; rango 15-500), si bien dentro del rango de normalidad, fue significativamente menor que en aquellos que bebían menos (500 µg/g; rango 173-500) ( p = 0,013) (Figura 2).

No se encontró asociación significativa entre el nivel de EF con el IMC, niveles de albúmina sérica, clasificación de Child o puntaje MELD-Na.

Al analizar el grupo de 10 pacientes con EF < 200, ninguno de los pacientes refirió esteatorrea, 8 de ellos presentaban cirrosis por alcohol, de los cuales 7 bebían más de 40 g de alcohol. Entre los 6 pacientes con EF < 100 µg/g, 2 pacientes tenían PC con calcificaciones y atrofia.

Del total de 85 pacientes seguidos a julio de 2023, 68 (80%) se encontraban vivos, 21 de ellos (25%) recibieron un trasplante hepático, 17 fallecieron (20%). De los 10 pacientes con elastasa menor a 200 µg/g, 1 falleció durante el tiempo del estudio por shock séptico y 2 recibieron trasplante hepático, ambos por cirrosis por consumo de alcohol; no se encontró ninguna diferencia en la evolución relacionada con el valor de EF.

Carla Mancilla Asencio y col.

Insuficiencia pancreática exocrina en cirrosis hepática: estudio de corte transversal

Figura 1. Porcentaje de pacientes con elastasa fecal baja según etiología de la cirrosis hepática

Etiología OH Otras etiologías

Figura 2. Boxplot del valor de elastasa fecal según consumo de alcohol: mayor a 20 g al día en comparación a la ausencia de consumo de alcohol o consumo menor de 20 g al día (n = 85)

Discusión

En este estudio transversal que evaluó la función pancreática exocrina mediante elastasa fecal en pacientes con cirrosis hepática, observamos que la gran mayoría de los pacientes presentó valores normales de elastasa fecal. Sin embargo, se identificaron diferencias relevantes según la etiología de la cirrosis. Los pacientes con cirrosis

asociada al consumo de alcohol presentaron niveles de elastasa fecal significativamente menores que aquellos con otras etiologías y concentraron la mayor proporción de valores compatibles con insuficiencia pancreática exocrina, con un 20% de elastasa < 200 µg/g y un 15% < 100 µg/g. Además, el consumo de alcohol > 20 g/día se asoció con valores más bajos de elastasa fecal independientemente de la etiología de la cirrosis. Por el contrario, los niveles de elastasa fecal no se asociaron con la gravedad de la enfermedad hepática ni con parámetros nutricionales. En conjunto, estos hallazgos sugieren que la disfunción pancreática exocrina en la cirrosis no es un fenómeno generalizado, pero puede estar presente de forma subclínica en pacientes con cirrosis alcohólica.

En la práctica clínica habitual, no se evalúa la función pancreática exocrina en los pacientes con cirrosis. Siendo el alcohol un factor de riesgo común para enfermedad hepática y daño pancreático, es razonable pensar que en la cirrosis por consumo de alcohol puede haber una mayor prevalencia de IPE.

Desde los años 90 hay reportes de malabsorción en cirrosis, no dependiente de daño a la mucosa intestinal, asociada a esteatorrea por malabsorción grasa.14 Posteriormente se encontró daño pancreático en autopsias de pacientes cirróticos con consumo excesivo de alcohol.15 Finalmente, un meta-análisis reciente sobre 29 estudios, mostró una prevalencia de 16% de PC en pacientes con cirrosis asociada a alcohol.16

Si bien la mayoría de nuestros pacientes cirróticos

Carla Mancilla Asencio y col.

Insuficiencia pancreática exocrina en cirrosis hepática: estudio de corte transversal

por alcohol presentó un valor de EF indiscutiblemente normal (> 500 µg/g), encontramos un 20% de pacientes con EF anormal < 200 µg/g. Lamentablemente, no contamos con una evaluación nutricional detallada que permitiera interpretar el impacto clínico, en especial en pacientes con elastasa entre 100 y 199 µg/g. Por otro lado, el valor de EF fue significativamente menor en pacientes que bebían más de 20 g al día de alcohol, independiente de la etiología de la cirrosis. Esta prevalencia es mayor que la de 7% que mostró el estudio de Aparisi y col.6 En dicho estudio se evaluaron 140 pacientes alcohólicos, encontrando 14% de IPE en aquellos sin cirrosis ni PC y 94% de IPE en pacientes con PC. No se encontraron pacientes con coincidencia de cirrosis y PC y llamativamente, se encontró una relación inversa entre los niveles de EF y la función hepática evaluada mediante el aclaramiento de indocianina. En nuestro estudio, del grupo con EF < 200 µg/g, 2 pacientes tenían imágenes compatibles con PC calcificante, ambos con consumo de alcohol > 40 gramos por día. Por otro lado, nuestra prevalencia de IPE fue menor a la del 55% que reportó Rabih y col. en cirróticos por alcohol. Ese estudio evaluó la función pancreática mediante estudio de triglicéridos marcados en aire espirado ( 13C-mixed triglyceride breath test) y en el grupo control, compuesto principalmente por pacientes con cirrosis por virus C, se encontró un 16% de IPE. La presencia de IPE se asoció al sexo masculino, consumo de alcohol y presencia de PC.5

Otro factor a considerar es la ausencia de esteatorrea clínica, incluso en pacientes con EF < 100 µg/g. En un reciente estudio dirigido a pesquisar PC e IPE en cirróticos descompensados, Llibre-Nieto y col. evaluaron 112 pacientes con cirrosis de etiología predominantemente alcohólica. Se encontró un 26% de pacientes con EF baja (< 200 µg/g) y 11 pacientes (9%) que cumplieron criterio imagenológico de PC. Del grupo con elastasa < 200 µg/g, el 28% presentaba esteatorrea y un 15% diarrea.17 En nuestro estudio, ningún paciente con EF baja refirió esteatorrea. Los niveles bajos de EF no se asociaron con el grado de avance de la cirrosis (Child, MELD Na), ni con los niveles de albúmina o el IMC. Por otro lado, la interpretación de síntomas como diarrea/esteatorrea es compleja en un grupo de pacientes habitualmente en tratamiento con laxantes y el IMC se ve influenciado por la retención hídrica.

Nuestros resultados llaman la atención a un fenómeno poco estudiado que puede contribuir a una evolución desfavorable en pacientes cirróticos. Considerando la baja sensibilidad de las manifestaciones

clínicas para el diagnóstico de IPE, los resultados obtenidos podrían justificar la medición preventiva de EF en pacientes con cirrosis, especialmente de etiología alcohólica. 18 La EF es un método aceptado y disponible para la evaluación de la función pancreática exocrina. Su especificidad es de 0,69 considerando límite normal el valor de 200 µg/g y de 0,82 con límite normal de 100 µg/g a costa de la reducción de sensibilidad de 0,94 a 0,88. 19 Los valores sobre 200 µg/g descartan IPE, mientras < 100 µg/g señalan IPE clínicamente significativa con alta probabilidad. Además, Di Magno y col. demostraron en su trabajo, ya clásico, 20 que la pérdida del 90% de producción de lipasa es necesaria para llegar a una esteatorrea manifiesta. Sin embargo, la disminución de la producción de enzimas, sin llegar a este nivel, puede generar molestias clínicas.

Entre las limitaciones de nuestro estudio, se encuentra el número relativamente bajo de pacientes estudiados y la ausencia de una evaluación nutricional detallada (prealbúmina, hierro, vitaminas liposolubles, magnesio, etc). El diagnóstico de IPE requiere de una sumatoria de elementos que incluyen los síntomas, la evaluación del estado nutricional y un examen de función pancreática.21 La EF, por lo tanto, no establece el diagnóstico por sí sola, si bien valores < 100 aumentan significativamente su especificidad. En cuanto el estudio morfológico, no se realizó endosonografía, que es el método más sensible – y a su vez menos específico – para detectar PC incipiente. Sin embargo, la posibilidad de IPE es muy baja en las fases iniciales de esta enfermedad y la RM y TAC son sensibles y específicos en la detección de PC avanzada, cuando la insuficiencia exocrina y endocrina son más probables.

Conclusión

En esta cohorte de pacientes con cirrosis hepática, la mayoría presentó función pancreática exocrina conservada. Sin embargo, se observó una mayor frecuencia de valores bajos de elastasa fecal en pacientes con cirrosis de etiología alcohólica, así como niveles significativamente menores asociados al consumo de alcohol > 20 g/día. Estos hallazgos sugieren que la insuficiencia pancreática exocrina puede estar presente de forma subclínica en un subgrupo de pacientes con cirrosis, particularmente en aquellos con consumo de alcohol. En este contexto, la determinación dirigida de elastasa fecal podría ser considerada en pacientes con cirrosis alcohólica, especialmente cuando existe malnutrición o deterioro del estado nutricional.

Carla Mancilla Asencio y col.

Insuficiencia pancreática exocrina en cirrosis hepática: estudio de corte transversal

Consentimiento para la publicación. Para la confección de este manuscrito, se utilizaron datos anonimizados que no han distorsionado su significado científico.

Propiedad intelectual. Los autores declaran que los datos, las figuras y las tablas presentes en el manuscrito son originales y se realizaron en sus instituciones pertenecientes.

Financiamiento. Este estudio fue financiado por la Oficina de Apoyo a la Investigación Clínica del Hospital de la Universidad de Chile (Proyecto OAIC 742/15).

Conflicto de interés. Los autores declaran no tener conflictos de interés en relación con este artículo.

Aviso de derechos de autor © 2026 Acta Gastroenterológica Latinoamericana. Este es un artículo de acceso abierto publicado bajo los términos de la Licencia Creative Commons Attribution (CC BY-NC-SA 4.0), la cual permite el uso, la distribución y la reproducción de forma no comercial, siempre que se cite al autor y la fuente original

Cite este artículo como: Henríquez Auba V, Hurtado C, Mancilla Asencio C y col. Insuficiencia pancreática exocrina en cirrosis hepática: estudio de corte transversal. Acta Gastroenterol Latinoam. 2026;56(1):94-101. https://doi. org/10.52787/agl.v56i1.579

Referencias

1. Turnberg LA, Grahame G. Secretion of water and electrolytes into the duodenum in normal subjects and in patients with cirrhosis: the response to secretin and pancreozymin. Gut. 1974 Apr;15(4):273-7. DOI: 10.1136/gut.15.4.273

2. Renner IG, Rinderknecht H, Wisner JR Jr. Pancreatic secretion after secretin and cholecystokinin stimulation in chronic alcoholics with and without cirrhosis. Dig Dis Sci. 1983 Dec;28(12):108993. DOI: 10.1007/BF01295807

3. Hayakawa T, Kondo T, Shibata T, Kitagawa M, Sakai Y, Sobajima H, Ishiguro H, Nakae Y, Kato K. Exocrine pancreatic function in chronic liver diseases. Am J Gastroenterol. 1991 Feb;86(2):201-4.

 Acta Gastroenterol Latinoam 2026;56(1):94-101

Carla Mancilla Asencio y col.

4. Sakai T. Pancreatic exocrine function in patients with chronic liver disease. Kurume Med J. 1998;45(2):181-5. DOI: 10.2739/ kurumemedj.45.181

5. Aoufi Rabih S, GarcíaAgudo R, Legaz Huidobro M.L, Ynfante Ferrús M, González Carro P, Pérez Roldán F, Ruiz Carrillo F, Tenías Burillo JM. Exocrine pancreatic insufficiency and chronic pancreatitis in chronic alcoholic liver disease. Coincidence or shared toxicity? Pancreas 2014; 5:730-734 DOI: 10.1097/ MPA.0000000000000085

6. Aparisi L, Sabater L, Del-Olmo J, Sastre J, Serra MA, Campello R, Bautista D, Wassel A, Rodrigo JM. Does an association exist between chronic pancreatitis and liver cirrhosis in alcoholic subjects? World J Gastroenterol. 2008 Oct 28;14(40):6171-9. DOI: 10.3748/wjg.14.6171

7. Apte MV, Pirola RC, Wilson JS. Mechanisms of alcoholic pancreatitis. J Gastroenterol Hepatol 2010; 25:1816-26. DOI: 10.1111/j.1440-1746.2010.06445.x

8. Apte MV, Pirola RC, Wilson JS. Alcohol and the Pancreas. Pancreapedia: Exocrine Pancreas Knowledge Base. DOI: 10.3998/ panc.2016.17

9. Zeng X, Shi ZW, Yu JJ, Wang LF, Luo YY, Jin SM, Zhang LY, Tan W, Shi PM, Yu H, Zhang CQ, Xie WF. Sarcopenia as a prognostic predictor of liver cirrhosis: a multicenter study in China. Journal of Cachexia, Sarcopenia and Muscle 2021; 12: 19481958. DOI: 10.1002/jcsm.12797

10. Dumont C, Wuestenberghs F, Lanthier N, Piessevaux H, Dahlqvist G. Malnutrition is highly prevalent in hospitalized cirrhotic patients and associates with a poor outcome. Acta Gastroenterol Belg 2022; 85:311-319. DOI: 10.51821/85.2.9016

11. Fozouni, L, Mohamad Y, Lebsack A, Freise C, Stock P, Lai JC. Frailty Is Associated with Increased Rates of Acute Cellular Rejection Within 3 Months After Liver Transplantation. Liver Transplantation 2020; 26:390-396. DOI: 10.1002/lt.25669

12. Löser C, Möllgaard A, Fölsch UR. Faecal elastase 1: A novel, highly sensitive, and specific tubeless pancreatic function test. Gut 1996; 39:580-6. DOI: 10.1136/gut.39.4.580

13. Rinella ME, Lazarus JV, Ratziu V, Francque SM, Sanyal AJ, Kanwal F, Romero D, Abdelmalek MF, Anstee QM, Arab JP, Arrese M, Bataller R, Beuers U, Boursier J, Bugianesi E, Byrne CD, Castro Narro GE, Chowdhury A, Cortez-Pinto H, Cryer DR, Cusi K, El-Kassas M, Klein S, Eskridge W, Fan J, Gawrieh S, Guy CD, Harrison SA, Kim SU, Koot BG, Korenjak M, Kowdley KV, Lacaille F, Loomba R, Mitchell-Thain R, Morgan TR, Powell EE, Roden M, Romero-Gómez M, Silva M, Singh SP, Sookoian SC, Spearman CW, Tiniakos D, Valenti L, Vos MB, Wong VW, Xanthakos S, Yilmaz Y, Younossi Z, Hobbs A, Villota-Rivas M, Newsome PN; NAFLD Nomenclature consensus group. A multisociety Delphi consensus statement on new fatty liver disease nomenclature. Hepatology 2023; 78: 1966-86. DOI: 10.1097/ HEP.0000000000000520

14. Romiti A, Merli M, Martorano M, Parrilli G, Martino F, Riggio O, Truscelli A, Capocaccia L, Budillon G. Malabsorption and nutritional abnormalities in patients with liver cirrhosis. Ital J Gastroenterol 1990;22:118-23.

15. Pace A, de Weerth A, Berna M, Hillbricht K, Tsokos M, Bläker M, Pueschel K, Lohse AW. Pancreas and liver injury are associated in individuals with increased alcohol consumption. Clin Gastroenterol Hepatol 2009; 7:1241–1246. DOI: 10.1016/j. cgh.2009.06.010

Insuficiencia pancreática exocrina en cirrosis hepática: estudio de corte transversal

16. Singhvi A, Abromitis R, Althouse AD, Bataller R, Arteel GE, Yadav D. “Coexistence of alcohol-related pancreatitis and alcohol-related liver disease: A systematic review and meta-Analysis.” Pancreatology 2020; 20: 1069-1077. DOI: 10.1016/j. pan.2020.07.412

17. Llibre-Nieto G, Lira A, Vergara M, Casas M, Solé C, Ferrusquía-Acosta J, Puig-Diví V, Grau-López L, Barradas JM, Solà M, Miquel M, Sánchez-Delgado J. Prevalence of Radiological Chronic Pancreatitis and Exocrine Pancreatic Insufficiency in Patients with Decompensated Liver Disease: Is Fecal Elastase Useful in This Setting? Nutrients 2023;15(2):375. DOI: 10.3390/ nu15020375

18. Vege SS, Chari ST. Chronic Pancreatitis. N Engl J Med 2022;386:869-878. DOI: 10.1056/NEJMcp1809396

19. de la Iglesia D, Agudo-Castillo B, Galego-Fernández M, Rama-Fernández A, Dominguez - Muñoz E: Diagnostic Accuracy of Fecal Elastase-1 Test for Pancreatic Exocrine Insufficiency: A Systematic Review and Meta-Analysis. UEG Journal, 2025; 13:1571-1582. DOI: 10.1002/ueg2.70061

20. Di Magno E, Go VLW, Summerskill WHJ: Relations between pancreatic enzyme output and malabsorption in severe pancreatic insufficiency. NEJM. 1973; 288: 813-815.

21. Dominguez-Muñoz JE, Vujasinovic M, de la Iglesia D, Cahen D, Capurso G, Gubergrits N, Hegyi P, Hungin P, Ockenga J, Paiella S, Perkhofer L, Rebours V, Rosendahl J, Salvia R, Scheers I, Szentesi A, Bonovas S, Piovani D, Löhr JM; European PEI Multidisciplinary Group. European guidelines for the diagnosis and treatment of pancreatic exocrine insufficiency: UEG, EPC, EDS, ESPEN, ESPGHAN, ESDO, and ESPCG evidence-based recommendations. United European Gastroenterol J. 2025 Feb;13(1):125-172.

Carla Mancilla Asencio y col.

Biopsia guiada por ecoendoscopía como herramienta diagnóstica mínimamente invasiva para metástasis mesorrectal de carcinoma de células claras renales: reporte de caso

1Servicio de Gastroenterología y Endoscopia.

2Servicio de Anatomía Patológica.

Hospital Privado Universitario de Córdoba. Provincia de Córdoba. Argentina.

Acta Gastroenterol Latinoam 2026;56(1):102-106

Recibido: 19/04/2025 / Aceptado: 12/03/2026 / Publicado online: 31/03/2026 / https://doi.org/10.52787/agl.v56i1.484

Resumen

Antecedentes. La ecoendoscopía es una técnica diagnóstica mínimamente invasiva que combina imágenes endoscópicas y ultrasonográficas para evaluar lesiones gastrointestinales y tejidos adyacentes. Este reporte describe su uso en el diagnóstico de metástasis mesorrectales de carcinoma de células claras renales. Presentación del caso. Mujer de 54 años con antecedentes de carcinoma de células claras renales tratado con nefrectomía derecha. En la tomografía de control presentó engrosamiento parietal

rectal y nódulos mesorrectales. La ecoendoscopía identificó una lesión subepitelial rectal y nódulos mesorrectales, y la biopsia guiada confirmó metástasis de carcinoma de células claras renales (PAX8 y CD10 positivas). Conclusión. La ecoendoscopía es un método efectivo para diagnosticar metástasis mesorrectales y se destaca por su utilidad en casos infrecuentes como metástasis de carcinoma de células claras renales.

Palabras claves. Ecoendoscopía, carcinoma de células claras renales, metástasis mesorrectal, diagnóstico mínimamente invasivo, reporte de un caso.

Endoscopic Ultrasound-Guided Biopsy as a Minimally Invasive Diagnostic Tool for Mesorectal Metastasis From Clear Cell Renal Carcinoma: A Case Report

Summary

Correspondencia: Nicole Marie Kahn Correo electrónico: nickykahn98@gmail.com

Background. Endoscopic ultrasound is a minimally invasive diagnostic technique that combines endoscopic and

Diagnóstico por ecoendoscopía para metástasis mesorrectal de carcinoma renal Nicole Marie Kahn y col.

ultrasonographic imaging to evaluate gastrointestinal and adjacent tissue lesions. This report describes its use in the diagnosis of mesorectal metastases from renal clear cell carcinoma. Case Presentation. A 54-year-old woman with a history of renal clear cell carcinoma treated with right nephrectomy. Follow-up computed tomography revealed rectal wall thickening and mesorectal nodules. Endoscopic ultrasound identified a subepithelial rectal lesion and mesorectal nodules, and guided biopsy confirmed metastases from renal clear cell carcinoma (PAX8 and CD10-positive). Conclusion. Endoscopic ultrasound is an effective method for diagnosing mesorectal metastases, and is particularly useful in rare renal clear cell carcinoma cases.

Keywords. Endoscopic ultrasound, renal clear cell carcinoma, mesorectal metastases, minimally invasive diagnosis, case report.

mores tempranos (T1-T2), con sensibilidad del 87,8% y especificidad del 98,3% para lesiones T1.4, 5 Por su parte, la RM permite evaluar estructuras mesorrectales, la fascia mesorrectal y el margen de resección circunferencial, con especificidad del 94% para la planificación quirúrgica.6, 7

El CCCR representa el 75-80% de los cánceres renales y es conocido por metastatizar a sitios distantes como pulmones (70%), ganglios linfáticos (45%), huesos (32%), hígado (18%), glándula suprarrenal (10%) y cerebro (8%).8 Sin embargo, las metástasis mesorrectales son excepcionalmente raras, con escasos casos reportados.9 - 11 Este reporte presenta un caso de metástasis mesorrectal de CCCR diagnosticada por USE y destaca la utilidad de esta técnica en un escenario clínico infrecuente. Asimismo, enfatiza su relevancia en la estadificación y el manejo oncológico.

Caso clínico

Abreviaturas

USE: Ultrasonografía endoscópica.

CCCR: Carcinoma de células claras renales (Renal Clear Cell Carcinoma).

TC: Tomografía computarizada (Computed Tomography).

RM: Resonancia magnética (Magnetic Resonance Imaging).

PAAF: Punción aspirativa con aguja fina (Fine needle aspiration).

GIST: Tumor estromal gastrointestinal (Gastrointestinal Stromal Tumor).

Mujer de 54 años con antecedentes de CCCR diagnosticado hace 4 años, tratada con nefrectomía total derecha. La paciente se presentó para seguimiento oncológico de rutina anual. Una TC reveló un engrosamiento focal hipervascularizado de la pared rectal inferior (23 mm de diámetro anteroposterior, 12 mm transversal) y dos nódulos mesorrectales: uno de 22 mm x 28 mm en la posición de las 2 en punto, en contacto con la pared rectal, y otro de 14 mm x 9 mm en la posición de las 3 en punto, íntimamente relacionado con la fascia mesorrectal. Estos hallazgos suscitaron la sospecha de neoplasia primaria rectal con diseminación regional, GIST o metástasis.

Introducción

La USE es una técnica diagnóstica que integra ultrasonografía de alta resolución y endoscopía para evaluar lesiones en el tracto gastrointestinal y estructuras adyacentes. Es ampliamente utilizada para estadificar lesiones malignas, caracterizar lesiones submucosas y guiar biopsias por aspiración con aguja fina.1 - 3 En el contexto de patologías rectales, la USE y la RM son técnicas complementarias con indicaciones específicas. La USE ofrece mayor precisión para la evaluación de las capas de la pared rectal y es superior en la estadificación de tu-

Se realizó una colonoscopía que identificó una lesión subepitelial rectal. La USE subsiguiente reveló una lesión subepitelial en el recto medio-inferior, de aproximadamente 10 mm x 15 mm, originada en la cuarta capa ecogénica (muscular propia), continua con una formación nodular mesorrectal de 21 mm x 15 mm. También se observaron ganglios linfáticos mesorrectales regionales de 5 mm a 6 mm (Figura 1 y 2).

Se realizó una biopsia guiada por USE utilizando un equipo lineal FujiFilm Ultrasonic Endoscope EG580UT con biopsia con aguja fina (FNB) de calibre 19 (Acquire, Boston Scientific). Se efectuaron 5 pases con técnica de movimiento de fanning bajo guía ultrasonográfica continua y se obtuvo material suficiente para las evaluaciones citológica e histopatológica. No se observaron complicaciones inmediatas relacionadas con el procedimiento.

Diagnóstico por ecoendoscopía para metástasis mesorrectal de carcinoma renal

Figura 1. Lesión originada en la cuarta eco capa (muscular propia) en mesorrecto

La biopsia guiada por USE fue complementada con una evaluación citológica rápida onsite (ROSE), la cual mostró citología positiva para malignidad en el primer pase. Posteriormente, la histopatología diferida confirmó células claras con inmunohistoquímica positiva para PAX8 y CD10, consistente con metástasis de CCCR (Figuras 3 y 4).

Tras la confirmación diagnóstica, la paciente fue derivada al equipo oncológico multidisciplinario. Dado el

Figura 3. Fragmento de biopsia de lesión mesorrectal con tinción CD10 de membranas compatible con células claras renales

Discusión

La metástasis mesorrectal de CCCR es una entidad clínica poco común, con informes limitados en la literatura y, por lo tanto, representa un desafío diagnóstico. Las metástasis gastrointestinales del CCCR representan solo

Nicole Marie Kahn y col.

Figura 2. Formación subepitelial de 10 x 15 mm continua con lesión nodular de 21 x 15 mm en mesorrecto

carácter metastásico único u oligometastásico y el buen estado funcional, se consideró el inicio de terapia sistémica dirigida con inmunoterapia con Nivolumab y luego control imagenológico para reevaluación oncológica.

Al momento de este reporte, la paciente permanecía asintomática y en evaluación para determinar el plan quirúrgico a realizar. No se reportaron complicaciones asociadas al procedimiento de USE.

Figura 4. Fragmento de biopsia de lesión mesorrectal con tinción PAX8 de núcleos compatible con células claras renales

el 1,6% de todos los casos de CCCR metastásico, siendo las localizaciones más frecuentes el estómago y el duodeno, mientras que las metástasis rectales son excepcionalmente raras.10 - 12 El CCCR tiende a metastatizar por vía hematógena, y la latencia entre el tratamiento inicial y la

Diagnóstico por ecoendoscopía para metástasis mesorrectal de carcinoma renal

aparición de metástasis es bien conocida, con un intervalo medio de 5,4 años desde el diagnóstico de CCCR.10, 13 El mesorrecto, con su rica vascularización y drenaje linfático, puede ser un sitio metastásico inusual, pero su identificación precisa es crucial para la estadificación.12

El diagnóstico diferencial en este caso incluía adenocarcinoma rectal primario, GIST u otras enfermedades metastásicas, lo que requirió un diagnóstico tisular para su posterior confirmación.14

La USE ha demostrado una precisión diagnóstica del 85-95% en lesiones rectales y perirrectales, con sensibilidad del 87,8% y especificidad del 98,3% para tumores T1, y una tasa de complicaciones inferior al 1%.1, 4, 5 En este caso, la USE permitió caracterizar la lesión, identificar su extensión mesorrectal y obtener tejido para un diagnóstico definitivo, evitando procedimientos quirúrgicos más invasivos.12 Estudios previos han descrito metástasis rectales de CCCR diagnosticadas por resección quirúrgica, pero la USE ofrece una alternativa menos invasiva con resultados comparables.10, 12, 16 La inmunohistoquímica (PAX8, CD10) fue fundamental para confirmar el origen renal, en concordancia con criterios diagnósticos establecidos que indican que PAX8 tiene una sensibilidad del 83-100% para CCCR y CD10 del 76-85%.17

En pacientes con metástasis rectal o mesorrectal de CCCR, el manejo debe ser individualizado. La resección quirúrgica local puede ser curativa en metástasis solitarias u oligometastásicas, mientras que la terapia sistémica constituye el pilar en la enfermedad diseminada o de alto volumen.18 La detección temprana mediante la USE permite una intervención oportuna y potencialmente metastásica-dirigida.

La serie más grande reportada corresponde al estudio multicéntrico GETUG (2024), que identificó a 74 pacientes con 87 metástasis gastrointestinales de CCCR, siendo las localizaciones más frecuentes el estómago (50%) y el duodeno (41,6%), y con solo casos aislados de afectación rectal.9 El intervalo medio entre el diagnóstico de CCCR y la aparición de metástasis gastrointestinales fue de 5,4 años, y la supervivencia media fue de 19 meses.

Los casos específicos de metástasis rectales reportados en la literatura incluyen el de Rosito y col. (2002), quienes describieron el primer caso documentado en el que la metástasis se presentó 9 meses después de la nefrectomía; el de Zheng y col. (2017), en el cual la metástasis rectal postnefrectomía se manifestó a los 10 años; y el de Zygomalas y col. (2020), en el que la metástasis a la fosa isquiorrectal se presentó 17 años después del tratamiento inicial.10, 12, 13

Una revisión sistemática de Janjic y col. (2022) analizó 162 pacientes con metástasis rectales de diversos orígenes primarios e identificó solo casos aislados de CCCR como origen, confirmando así su rareza excepcional.14

Estos casos confirman que las metástasis rectales/ mesorrectales de CCCR típicamente ocurren años después de la nefrectomía (rango: 9 meses a 17 años), requieren alto índice de sospecha clínica y confirmación histológica con inmunohistoquímica, y representan menos del 2% de todas las metástasis de CCCR.9 - 11

El presente caso contribuye a esta escasa literatura al destacar la utilidad de la USE - PAAF como método diagnóstico mínimamente invasivo para esta infrecuente presentación clínica.

El enfoque multidisciplinario aseguró un manejo integral del paciente.

Limitaciones: La infrecuencia de la metástasis mesorrectal de carcinoma de células claras renales dificulta el análisis comparativo debido a la escasez de casos similares.

Relevancia clínica: Este caso resalta la importancia de considerar metástasis atípicas en pacientes con antecedentes de carcinoma de células claras renales y el valor de la USE en el diagnóstico de lesiones mesorrectales.

Conclusión

La biopsia guiada por USE es una herramienta diagnóstica efectiva y mínimamente invasiva para las metástasis mesorrectales. Su capacidad para proporcionar imágenes detalladas y muestreo tisular dirigido la hace esencial en escenarios oncológicos complejos, especialmente para patrones metastásicos raros. Se debe considerar la USE en la evaluación diagnóstica de lesiones mesorrectales sospechosas, particularmente en pacientes con antecedentes de neoplasias propensas a diseminación metastásica atípica.

Consentimiento para la publicación. Para la confección de este manuscrito, se utilizaron datos anonimizados que no han distorsionado su significado científico.

Propiedad intelectual. Los autores declaran que los datos y las figuras presentes en el manuscrito son originales y se realizaron en las instituciones a las que pertenecen.

Financiamiento. Los autores declaran que no hubo fuentes de financiación externas.

Nicole Marie Kahn y col.

Diagnóstico por ecoendoscopía para metástasis mesorrectal de carcinoma renal Nicole Marie Kahn y col.

Conflicto de interés. Los autores declaran no tener conflictos de interés en relación con este artículo.

Aviso de derechos de autor © 2026 Acta Gastroenterológica Latinoamericana. Este es un artículo de acceso abierto publicado bajo los términos de la Licencia Creative Commons Attribution (CC BY-NC-SA 4.0), la cual permite el uso, la distribución y la reproducción de forma no comercial, siempre que se cite al autor y la fuente original

Cite este artículo como: Kahn N M, Defanti M F y Carlino Y G. Biopsia guiada por ecoendoscopía como herramienta diagnóstica mínimamente invasiva para metástasis mesorrectal de carcinoma de células claras renales: reporte de caso. Acta Gastroenterol Latinoam. 2026;56(1):102106 https://doi.org/10.52787/agl.v56i1.484

8. Rose TL, Kim WY. Renal Cell Carcinoma: A Review. JAMA. 2024;332(12):1001-1010. DOI :10.1001/jama.2024.12848

9. Carneiro F, Vinceneux A, Larroquette M, et al. Gastrointestinal metastases in renal cell carcinoma: A retrospective multicenter GETUG (Groupe d'Étude des Tumeurs Uro-Génitales) study. Eur J Cancer. 2024;199:113534. DOI: 10.1016/j. ejca.2024.113534

10. Zheng G, Li H, Li J, et al. Metastatic Renal Clear Cell Carcinoma to the Rectum, Lungs, Ilium, and Lymph Nodes: A Case Report. Medicine (Baltimore). 2017;96(1):e5720. DOI: 10.1097/ MD.0000000000005720

11. Maelle R, Jean-Philippe R, Jochen W, et al. Gastrointestinal Metastases From Primary Renal Cell Cancer: A Single Center Review. Front Oncol. 2021;11:644301. DOI: 10.3389/ fonc.2021.644301

12. Rosito MA, Damin DC, Lazzaron AR, André C, Schwartsmann G. Metastatic Renal Cell Carcinoma Involving the Rectum. Int J Colorectal Dis. 2002;17(5):359-361. DOI: 10.1007/s00384002-0401-z

13. You YN, Hardiman KM, Bafford A, et al. The American Society of Colon and Rectal Surgeons Clinical Practice Guidelines for the Management of Rectal Cancer. Dis Colon Rectum. 2020;63(9):1191-1222. DOI: 10.1097/DCR.0000000000001762

14. Janjic O, Labgaa I, Hübner M, Demartines N, Joliat GR. Metastasis to the Rectum: A Systematic Review of the Literature. Eur J Surg Oncol. 2022;48(4):822-833. DOI: 10.1016/j. ejso.2021.10.004

Referencias

1. Mishra G, Lennon AM, Pausawasdi N, et al. Quality indicators for EUS. Gastrointest Endosc. 2025;101(5):928-949.e1. DOI: 10.1016/j.gie.2025.02.025

2. Sharzehi K, Sethi A, Savides T. AGA Clinical Practice Update on Management of Subepithelial Lesions Encountered During Routine Endoscopy: Expert Review. Clin Gastroenterol Hepatol. 2022;20(11):2435-2443.e4. DOI: 10.1016/j.cgh.2022.05.054

3. Faulx AL, Kothari S, Acosta RD, et al. The Role of Endoscopy in Subepithelial Lesions of the GI Tract. Gastrointest Endosc. 2017;85(6):1117-1132. DOI: 10.1016/j.gie.2017.02.022

4. Podda M, Sylla P, Baiocchi G, et al. Multidisciplinary Management of Elderly Patients With Rectal Cancer: Recommendations From the SICG, SIFIPAC, SICE, and the WSES International Consensus Project. World J Emerg Surg. 2021;16(1):35. DOI: 10.1186/s13017-021-00378-9

5. Chan BPH, Patel R, Mbuagbaw L, Thabane L, Yaghoobi M. EUS Versus Magnetic Resonance Imaging in Staging Rectal Adenocarcinoma: A Diagnostic Test Accuracy Meta-Analysis. Gastrointest Endosc. 2019;90(2):196-203.e1. DOI: 10.1016/j. gie.2019.04.217

6. Expert Panel on Gastrointestinal Imaging, Korngold EK, Kambadakone AR, et al. ACR Appropriateness Criteria® Staging and Disease Monitoring of Rectal Cancer. J Am Coll Radiol. 2025;22(11S):S638-S657. DOI: 10.1016/j.jacr.2025.08.035

7. National Comprehensive Cancer Network. Rectal Cancer. NCCN Clinical Practice Guidelines in Oncology. Version 5.2025 [Internet]. Plymouth Meeting, PA: NCCN; 2025 [cited 2026 Mar 8]. Available from: https://www.nccn.org/professionals/physician_gls/pdf/rectal.pdf

Gastroenterol Latinoam 2026;56(1):102-106

15. Boo SJ, Byeon JS, Park DH, et al. EUS-guided Fine Needle Aspiration and Trucut Needle Biopsy for Examination of Rectal and Perirectal Lesions. Scand J Gastroenterol. 2011;46(12):15101518. DOI: 10.3109/00365521.2011.615856

16. Zygomalas A, Papachristou DJ, Katsiakis N, et al. First Report of Clear Cell Renal Carcinoma Metastasizing to the Ischiorectal Fossa 17 Years After Radical Nephrectomy: An Additional Reason for Lifelong Follow-Up. Ann R Coll Surg Engl. 2020;102(9):e1-e3. DOI: 10.1308/rcsann.2020.0140

17. Truong LD, Shen SS. Immunohistochemical Diagnosis of Renal Neoplasms. Arch Pathol Lab Med. 2011;135(1):92-109. DOI: 10.5858/2010-0478-RAR.1

18. Rathmell WK, Rumble RB, Van Veldhuizen PJ, et al. Management of Metastatic Clear Cell Renal Cell Carcinoma: ASCO Guideline. J Clin Oncol. 2022;40(25):2957-2995. DOI: 10.1200/JCO.22.00868

19. Fritscher-Ravens A, Sriram PV, Topalidis T, et al. Endoscopic Ultrasonography-Guided Fine-Needle Cytodiagnosis of Mediastinal Metastases From Renal Cell Cancer. Endoscopy. 2000;32 (7):531-535. DOI: 10.1055/s-2000-3815

20. Béchade D, Palazzo L, Fabre M, Algayres JP. EUS-guided FNA of Pancreatic Metastasis From Renal Cell Carcinoma. Gastrointest Endosc. 2003;58(5):784-788. DOI: 10.1016/s0016-5107 (03)02034-0

Enfermedad de Crohn ileal como forma de presentación de enfermedad inflamatoria intestinal en pediatría

Victoria Rodríguez1

Cereijo2 · Mariela Antoniska3 · Laura Busquet4 · Adriana Bottero5 · Mónica Contreras6

1Jefa de residentes de Gastroenterología Infantil.

2Residente de Gastroenterología Infantil.

3Médica Adjunta del Servicio de Gastroenterología Infantil y miembro del Equipo Interdisciplinario de Enfermedad Inflamatoria Intestinal.

4Médica Adjunta del Servicio de Gastroenterología Infantil.

5Jefa de Clínica del Servicio de Gastroenterología Infantil.

6Jefa de Clínica del Servicio de Gastroenterología y del Equipo Interdisciplinario de Enfermedad Inflamatoria Intestinal.

Hospital Juan P. Garrahan, Ciudad Autónoma de Buenos Aires, Argentina.

Acta Gastroenterol Latinoam 2026;56(1):107-113

Recibido: 11/07/2025 / Aceptado: 24/02/2026 / Publicado online: 31/03/2026 / https://doi.org/10.52787/agl.v56i1.503

Resumen

La Enfermedad de Crohn pediátrica localizada exclusivamente a nivel ileal es una entidad poco frecuente en nuestro medio. Debido a su presentación clínica solapada, se debe tener un alto índice de sospecha y plantear diagnósticos diferenciales respecto de patologías infecciosas, infiltrativas y otras entidades menos frecuentes. Se presenta el caso de un paciente de 11 años con antecedentes de anemia, dolor en fosa ilíaca derecha, descenso ponderal y fiebre. En los estudios de imágenes se evidenció un engrosamiento del íleon termi-

nal y estenosis intestinal próxima a la válvula ileocecal, con dilatación pre-estenótica. En la video-colonoscopía se observó que la mucosa colónica era normal y se encontró estenosis cicatrizal de la válvula ileo-cecal. La anatomía patológica no fue concluyente, informando colitis inespecífica moderada. Ante la clínica de suboclusión intestinal se realizó la resección laparoscópica de íleon distal, apéndice, válvula y ciego, con la confección de una ostomía en caño de escopeta. La histología de la pieza quirúrgica confirmó el diagnóstico de Enfermedad de Crohn.

Palabras claves. Enfermedad de Crohn, ileítis, pediatría.

Ileal Crohn’s Disease as a Form of Presentation of Inflammatory Bowel Disease in Pediatrics

Summary

Correspondencia: Victoria Rodríguez Correo electrónico: vickyrodriiguez91@gmail.com

Pediatric Crohn’s disease localized exclusively to the ileum is a rare condition in our setting. Due to its overlapping clinical presentation, a high index of suspicion is required,

Enfermedad de Crohn ileal como forma de presentación de enfermedad inflamatoria intestinal en pediatría Victoria Rodríguez y col.

and differential diagnoses must be considered with respect to infectious, infiltrative, and other less frequent conditions. We present the case of an 11-year-old patient with a history of anemia, pain in the right iliac fossa, weight loss, and fever. Imaging studies revealed thickening of the terminal ileum and intestinal stenosis near the ileocecal valve, with prestenotic dilation. Video colonoscopy showed that the colonic mucosa was normal and revealed cicatricial stenosis of the ileocecal valve. The pathological anatomy was inconclusive, reporting moderate nonspecific colitis. Due to symptoms of subintestinal obstruction, a laparoscopic resection of the distal ileum, appendix, ileocecal valve, and cecum was performed, with creation of a double-barrel ostomy. Histology of the surgical specimen confirmed the diagnosis of Crohn’s disease.

Keywords. Crohn’s disease, ileitis, pediatrics.

Abreviaturas

EC: Enfermedad de Crohn.

ECI: Enfermedad de Crohn ileal.

ECC: Enfermedad de Crohn colónica aislada.

TBC: Tuberculosis.

TAC: Tomografía axial computarizada.

RMN: Resonancia magnética nuclear.

VIC: Válvula ileocecal.

VEDA: Videoendoscopía digestiva alta.

VCC: Video-colonoscopía.

FID: Fosa ilíaca derecha.

EII: Enfermedad inflamatoria intestinal.

ASCA: Anticuerpos anti-Saccharomyces cerevisiae.

ANCA: Anticuerpos anticitoplasma de los neutrófilos.

TNF: Factor de necrosis tumoral.

PCR: Reacción en cadena de polimerasa.

Col: Colaboradores.

Introducción

En 1932 los cirujanos Ginzburg y Oppenheimer junto al gastroenterólogo Burill B. Crohn publicaron la primera serie de casos que describía una nueva condición intestinal en la cual los pacientes presentaban obstrucción a nivel íleo-cecal y requerían abordaje quirúrgico. Desde aquel entonces la clasificación fenotípica de esta patología

ha evolucionado para estratificar a los pacientes en Enfermedad de Crohn con afectación ileal aislada (ECI), Enfermedad de Crohn ileocolónica (ECIC) y Enfermedad de Crohn colónica aislada (ECC).1

Por su parte, la ileítis terminal ofrece un amplio abanico de posibilidades diagnósticas, entre las cuales deben descartarse procesos infecciosos (Mycobacterium tuberculosis, Giardia lamblia, Yersinia enterocolítica, Anisakis simplex), tumorales (linfoma, tumor carcinoide, adenocarcinoma), infiltrativos (histiocitosis, endometriosis) y vasculares (púrpura de Schonlein Henoch y otras vasculitis).2

De todas las anteriores, la tuberculosis (TBC) intestinal debe constituir el principal diagnóstico diferencial respecto de la ECI debido a la prevalencia en nuestro medio y su localización predominantemente en la región ileo-cecal, ya que allí existe un gran volumen de tejido linfoide. La afectación intestinal de la Enfermedad de Crohn suele iniciarse a nivel submucoso, extendiéndose hacia la mucosa donde puede originar úlceras, y hacia la serosa formando trayectos fistulosos.

Debido a la presentación clínica poco específica e insidiosa, el retraso diagnóstico de la ECI suele llegar, en algunos casos, hasta los 24 meses. Los síntomas más frecuentemente reportados han sido el dolor abdominal crónico localizado en fosa ilíaca derecha, el descenso de peso, la hiporexia, síntomas oclusivos o pseudo-oclusivos, sumado o no a diarrea crónica. Además, en el laboratorio se puede evidenciar anemia, hipoalbuminemia y reactantes de fase aguda elevados.3

La ecografía abdominal suele ser uno de los primeros estudios por imágenes solicitados como método complementario de diagnóstico en pediatría ante un cuadro de dolor abdominal crónico. Personal entrenado -ya que es un estudio operador dependiente- puede detectar engrosamiento, hipervascularización al Doppler color, pérdida de estratificación de las capas intestinales, aumento de la grasa mesentérica subyacente, adenopatías regionales y complicaciones como fístulas y abscesos. La tomografía axial computarizada (TAC) de abdomen y la resonancia magnética nuclear (RMN) con contraste oral y endovenoso brindarán información acerca de la presencia o no de un posible engrosamiento difuso parietal del íleon terminal, engrosamiento asimétrico de la válvula ileocecal (VIC), presencia de estenosis o dilatación y adenopatías regionales.

La videoendoscopía digestiva alta (VEDA) suele presentar hallazgos macroscópicos normales; mientras que en la video-colonoscopía (VCC) pueden encontrarse úlceras profundas con fondo de fibrina y bordes sobreelevados a nivel ileal. En la anatomía patológica la presencia de gra-

Enfermedad de Crohn ileal como forma de presentación de enfermedad inflamatoria intestinal en pediatría Victoria Rodríguez y col.

nulomas en el íleon terminal, sin necrosis ni supuración, con células gigantes multinucleadas; con tinción Ziehl Neelsen negativa, confirmará el diagnóstico.

A continuación, se presenta el caso de un paciente que inicia su cuadro clínico con dolor abdominal localizado en la fosa ilíaca derecha, hiporexia marcada, anemia severa y deterioro ponderal de varios meses de evolución.

Caso clínico

Paciente masculino de 11 años que consultó al servicio de gastroenterología de nuestro hospital por dolor abdominal intermitente a predominio de fosa ilíaca derecha (FID) de un año de evolución, asociado a astenia y descenso ponderal en los últimos 6 meses (5 kg referidos, percentilo de peso menor a 3 al ingreso). Su pediatra había solicitado 3 meses previos a nuestra consulta un laboratorio general donde se observó anemia microcítica, hipoalbuminemia y reactantes de fase aguda aumentados. Traía una ecografía abdominal informada como normal.

Antecendentes de relevancia: madre con miastenia gravis y artritis reumatoide, y hermana con leucemia mieloide aguda en tratamiento.

Se indicó su internación para estudio y abordaje terapéutico. Al ingreso se constató anemia ferropénica (hemoglobina 7,9 g/dl -valor normal 12,6 – 16,1-, volumen corpuscular medio 66,8 Fl -bajo-, concentración de hemoglobina corpuscular media 29,3 g/dl -baja-, amplitud de distribución eritrocitaria 18,9% -elevado-), hipoalbuminemia (3,34 g/dl) y reactantes de fase aguda elevados (eritrosedimentación 76 mm/h, proteína C reactiva 148,37 mg/l, plaquetas 765000/mm3).

La radiografía de abdomen de pie mostró niveles hidroaéreos a nivel de FID (Figura 1). En la ecografía abdominal se encontró engrosamiento de asas, discreta alteración de la ecoestructura y aumento de la vascularización al Doppler color en FID. Se realizó además una RMN de intestino delgado que evidenció la dilatación de las asas del íleon distal con un área de estenosis cercana a la válvula ileocecal y colección heterogénea para-vesical derecha asociada a un marcado aumento de la ecogenicidad de la grasa mesentérica y múltiples ganglios de 4 x 3,2 cm (Figura 2).

Ante la afectación íleo-cecal se plantearon diversos diagnósticos diferenciales, siendo los principales: enfermedad inflamatoria intestinal (EII), TBC intestinal y linfoma.

En los estudios realizados para búsqueda etiológica se encontró: anticuerpos anti-Saccharomyces cerevisiae (ASCA) IgA e IgG positivos, anticuerpos anticitoplasma de los neutrófilos (ANCA) negativo; calprotectina en ma-

teria fecal mayor a 1800; radiografía torácica dentro de parámetros normales, prueba de Mantoux negativa y lavados gástricos para la detección de bacilos ácido alcohol resistentes negativos.

Figura 1. Radiografía abdominal frente, de pie, con presencia de niveles hidroaéreos

Figura 2. RMN de abdomen con contraste en cortes coronales (A) y sagitales (B) con evidencia de un área de estenosis cercana a la VIC con dilatación proximal de íleon distal

Enfermedad de Crohn ileal como forma de presentación de enfermedad inflamatoria intestinal en pediatría Victoria Rodríguez

En la VEDA se observó gastropatía eritematosa leve; la VCC mostró una mucosa colónica normal, sin

Las PCR virales, el estudio micológico, la tinción Ziehl Neelsen y el GenExpert fueron negativas. La anatomía patológica informó: gastritis crónica inactiva no atrófica leve; colitis inespecífica con escasos signos de cronicidad inactiva.

Ante el hallazgo de la colección para-vesical derecha se indicó un tratamiento antibiótico empírico. También nutrición parenteral y enteral exclusiva.

El paciente evolucionó con cuadros suboclusivos durante el primer mes de internación y, ante la sospecha de Enfermedad de Crohn complicada, se realizó una laparotomía exploradora que puso en evidencia una estenosis extensa de íleon distal cercano a válvula ileocecal. Se resecaron aproximadamente 25 cm de íleon incluyendo la zona de estenosis, apéndice, válvula y ciego, realizándose posteriormente la ostomía en caño de escopeta.

La anatomía patológica de la pieza quirúrgica informó compromiso del íleon con la mucosa extensamente ulcerada en el área de estenosis, y en algunos sectores proceso inflamatorio panentérico y signos de cronicidad. Focalmente se observaron células gigantes multinucleadas y a nivel colónico la histoarquitectura y la mucosecreción estaban conservadas. Se concluyó que el íleon distal presentaba un proceso inflamatorio crónico con actividad severa, úlcera transmural focal con fistulización incipiente; las tinciones específicas e inmunohistoquímica descartaron la presencia de procesos tumo-

lesiones. No se logró realizar la intubación ileal debido a la estenosis de la válvula ileocecal (Figura 3).

rales e infecciosos. Los hallazgos eran compatibles con Enfermedad de Crohn.

El paciente presentó buena evolución clínica posquirúrgica, con buen progreso ponderal, buena tolerancia por vía oral y mejoría de parámetros bioquímicos, por lo que se otorgó el egreso hospitalario.

Posteriormente se revaloró con VEDA, en la que presentó mucosa normal y VCC, donde se observaron úlceras aftoides en el colon descendente (Figura 4)

Figura 3. Estenosis de válvula ileocecal. A. VIC, B. ciego
A B
Figura 4. Úlcera aftoide en el colon descendente

Enfermedad de Crohn ileal como forma de presentación de enfermedad inflamatoria intestinal en pediatría Victoria Rodríguez y col.

con los últimos 3 cm de íleon normales. Para completar el estudio del intestino medio se utilizó una cápsula endoscópica, mediante la cual se observaron úlceras aftoides y erosiones cubiertas por fibrina a nivel del yeyuno; en íleon medio-distal se constató la presencia de úlceras de diferente configuración y tamaño (menores a 2 cm), rodeadas de un halo eritematoso; en los 5 cm

en

previos a la ileostomía la mucosa presentaba edema, eritema y hemorragias subepiteliales; el índice de Lewis fue moderado-severo (Figura 5).

Se indicó tratamiento con anti-factor de necrosis tumoral (TNF), infliximab, presentando buena evolución clínica y terapéutica, evaluándose la reconstrucción de tránsito intestinal.

cubierta con fibrina en íleon. D. Úlceras longitudinales y circulares cubiertas con fibrina en íleon

Figura 5. A. Ulceración en yeyuno. B. Úlcera lineal
yeyuno. C. Úlcera

Enfermedad de Crohn ileal como forma de presentación de enfermedad inflamatoria intestinal en pediatría Victoria Rodríguez y col.

Discusión

La afectación ileal aislada como forma de presentación al debut de la Enfermedad de Crohn ha sido reportada en algunos trabajos, principalmente en población adulta.

En el ensayo REACT, en el que Reena Khanna, y col. realizaron la evaluación aleatoria de un algoritmo para el tratamiento de Crohn, basado en EC en adultos, se observó que la localización de la enfermedad ileocolónica e ileal aislada conllevaban el doble de riesgo, en comparación a la enfermedad colónica, de sufrir complicaciones relacionadas con la enfermedad, así como una mayor tendencia a someterse a cirugías en los primeros 24 meses de enfermedad, tal como sucedió en el caso presentado.4

Un trabajo realizado en la Universidad de California describe a la EC ileal como una entidad con mayor asociación a patología perianal y espondilitis anquilosante, incluso como formas de presentación, entidades que no fueron halladas en nuestro paciente hasta el momento. 3

En un estudio multicéntrico realizado en 2020 por Toer W Stevens y col., basado en población adulta, se comparó el tratamiento con infliximab vs. cirugía resectiva en pacientes con EC ileal, con un seguimiento a 33 meses. Se reportó que casi la mitad de los pacientes sometidos inicialmente a cirugía, no requirieron otras intervenciones, así como tampoco tratamiento farmacológico. Por otro lado, la mitad de los pacientes que habían recibido inicialmente infliximab requirieron abordaje quirúrgico, y la otra mitad mantuvo diversos tratamientos biológicos.5

Recientemente, un trabajo realizado en Dinamarca con adultos diagnosticados de EC ileal e ileocecal no complicadas comparó la evolución al año de pacientes que fueron tratados inicialmente con anti-TNF vs. aquellos a los que se le realizó resección ileocecal posterior al diagnóstico. Estos últimos presentaron menor uso de corticoides, menor tasa de hospitalización e intervenciones quirúrgicas posteriores.6

Ante la presentación de una EII complicada (enfermedad fistulizante, estenosante y perianal), la European Crohn’s and Colitis Organisation (ECCO), en sus lineamientos del año 2024 propone el abordaje quirúrgico como primera opción. El tiempo de permanencia de las ostomías no se encuentra claramente establecido, por lo que se recomienda individualizar según las características de cada caso.7

Por último, el tratamiento profiláctico posterior a la cirugía está indicado en los casos con alto riesgo de

recurrencia de EC.7 Los agentes anti-TNF se describen como una terapia eficaz para prevenir la recurrencia endoscópica posoperatoria.8 Evidencia reciente describe también la eficacia de ustekinumab y vedolizumab en estos casos, con tasas similares de éxito, aunque se requieren estudios de seguimiento a largo plazo respecto de los biológicos anteriormente mencionados.9

En el caso del paciente presentado, se optó por la resección laparoscópica inicial asociada al tratamiento con anti-TNF posterior debido a la enfermedad estenosante extensa al momento del diagnóstico y el riesgo de recaída post-resección por el compromiso del intestino medio observado mediante la endocápsula. Según la evolución clínica y endoscópica se valorará el momento oportuno para la reconstrucción del tránsito intestinal, teniendo en cuenta que se trata de un paciente en máximo período de crecimiento.

Conclusión

La enfermedad de Crohn continúa siendo un desafío diagnóstico en la edad pediátrica. Su amplio espectro clínico de presentación en niños y adolescentes puede ser causa de retraso o errores diagnósticos, con impacto negativo durante el período de máximo crecimiento y desarrollo. Esto último se profundiza cuando el paciente presenta una enfermedad ileal aislada, manifestación sumamente infrecuente en pediatría, que requiere un alto índice de sospecha para su diagnóstico de certeza.

Otro punto a destacar ante la falta de soporte bibliográfico suficiente en el tratamiento de esta entidad es el abordaje multidisciplinario e individualizado de cada paciente, con necesidad de posibles terapias combinadas para lograr el objetivo terapéutico deseado.

Consentimiento para la publicación. Para la confección de este manuscrito, se utilizaron datos anonimizados que no han distorsionado su significado científico.

Propiedad intelectual. Las autoras declaran que los datos y las figuras presentes en el manuscrito son originales y se realizaron en sus instituciones pertenecientes.

Financiamiento. Las autoras declaran que no hubo fuentes de financiación externas.

Conflicto de interés. Las autoras declaran no tener conflictos de interés en relación con este artículo.

Enfermedad de Crohn ileal como forma de presentación de enfermedad inflamatoria intestinal en pediatría Victoria Rodríguez y col.

Aviso de derechos de autor

© 2026 Acta Gastroenterológica Latinoamericana. Este es un artículo de acceso abierto publicado bajo los términos de la Licencia Creative Commons Attribution (CC BY-NC-SA 4.0), la cual permite el uso, la distribución y la reproducción de forma no comercial, siempre que se cite al autor y la fuente original

Cite este artículo como: Rodríguez V, Cereijo M, Antoniska M y col. Enfermedad de Crohn ileal como forma de presentación de enfermedad inflamatoria intestinal en pediatría Acta Gastroenterol Latinoam. 2026;56(1):107113. https://doi.org/10.52787/agl.v56i1.503

Referencias

1. Álvarez JP, editor. De cuando la ileítis regional se convirtió en la enfermedad de Crohn [Internet]. Revista Médica Clínica Las Condes. 2019. Disponible en: https://www.journals.elsevier. com/revista-medica-clinica-las-condes

2. Varga L, Bejar E, Sáez González B, Beltrán M, Fernández D. Protocolo diagnóstico de las ileítis. Instituto de Investigación Sanitaria La Fe; 2020.

3. Dulai PS, Singh S, Vande Casteele N, Boland BS, Rivera-Nieves J, Ernst PB, et al. Should we divide Crohn’s disease into ileum-dominant and isolated colonic diseases? [Internet]. Clin Gastroenterol Hepatol. 2019. Disponible en: http://dx.doi. org/10.1016/j.cgh.2019.04.040

4. Khanna R, Bressler B, Levesque BG, Zou G, Stitt LW, Greenberg GR, et al. Early combined immunosuppression for the management of Crohn’s disease (REACT): a cluster randomised controlled trial. 2015. Disponible en: http://dx.doi. org/10.1016/S0140-6736(15)00068-9

5. Stevens TW, Haasnoot ML, D’Haens GR, Buskens CJ, de Groof EJ, Eshuis EJ, et al.; LIR!C study group. Laparoscopic ileocaecal resection versus infliximab for terminal ileitis in Crohn's disease: retrospective long-term follow-up of the LIR!C trial. Lancet Gastroenterol Hepatol. 2020 Oct;5(10):900-7. DOI: 10.1016/S2468-1253(20)30117-5

6. Kelm M, Anger F, Eichlinger R, Brand M, Kim M, Reibetanz J, et al. Early ileocecal resection is an effective therapy in isolated Crohn’s disease. J Clin Med [Internet]. 2021. Disponible en: http://dx.doi.org/10.3390/jcm10040731

7. de Groof W, Czuber-Dochan W, Casanova MJ, Burisch J, Brown SR, Bislenghi G, et al. ECCO Guidelines on Therapeutics in Crohn’s Disease: Surgical Treatment. J Crohns Colitis [Internet]. 2024. Disponible en: http://dx.doi.org/10.1093/ecco-jcc/jjae089

8. Zhao Y, Ma T, Chen YF, et al. Biologics for the prevention of postoperative Crohn’s disease recurrence: a systematic review and meta-analysis. Clin Res Hepatol Gastroenterol. 2015.

9. De Vries P, Rivière Y, Panis Y, Domènech E, et al. Results of the Eighth Scientific Workshop of ECCO: Prevention and treatment of postoperative recurrence in patients with Crohn’s disease undergoing an ileocolonic resection with ileocolonic anastomosis. J Crohns Colitis [Internet]. 2023. Disponible en: http://dx.doi.org/10.1093/ecco-jcc/jjad053

♦CASO CLÍNICO

Hemangioendotelioma hepático infantil con elevación de alfa-fetoproteína: reporte de caso y revisión

Hospital de Niños Sor María Ludovica de La Plata. Provincia de Buenos Aires. Argentina.

Acta Gastroenterol Latinoam 2026;56(1):114-118

Recibido: 26/07/2025 / Aceptado: 02/03/2026 / Publicado online: 31/03/2026 / https://doi.org/10.52787/agl.v56i1.523

Resumen

El hemangioendotelioma infantil es el tumor mesenquimatoso benigno más frecuente en el hígado y se presenta habitualmente en los primeros seis meses de vida. Aunque la alfa-fetoproteína sérica es un marcador tumoral de relevancia significativa en casos de hepatoblastoma, carcinoma hepatocelular y tumores de células germinales, en los pacientes con hemangioendotelioma hepático infantil rara vez se observan niveles elevados. En esos casos, dado que los diagnósticos diferenciales tienen pronósticos diferentes, se deben considerar estrategias diagnósticas accesibles con el objetivo de definir conductas. Aún no se ha

esclarecido la causa exacta de la elevación de la alfa-fetoproteína en el hemangioendotelioma, si bien en algunos estudios se ha demostrado que los hepatocitos atrapados cerca del tumor son los responsables del aumento de los niveles séricos. En este trabajo describimos un caso clínico de hemangioendotelioma hepático infantil solitario como presentación clínica poco común con elevación de dicho marcador tumoral.

Palabras claves. Hemangioma hepático, propranolol, tumor vascular, alfa-fetoproteina.

Infantile Hepatic Hemangioendothelioma with Elevated Alpha-fetoprotein: Case Report and Review

Summary

Correspondencia: María Laura Valberdi Lecce Correo electrónico: valberdilaura@gmail.com

Infantile hemangioendothelioma is the most common benign mesenchymal tumor of the liver and usually occurs within the first six months of life. Although serum alpha-fetoprotein is a significant tumor marker in cases of hepatoblastoma, hepatocellular carcinoma and germ cell tumors, elevated levels are rarely observed in patients with infantile hepatic hemangioendothelioma. In such cases,

Hemangioendotelioma hepático infantil con elevación de alfa-fetoproteína

given that the differential diagnoses have different prognoses, accessible diagnostic options should be sought in order to to guide clinical management. The exact cause of alpha-fetoprotein elevation in hemangioendothelioma has not yet been clarified, although some studies have shown that hepatocytes trapped near the tumor are responsible for the increased serum levels. In this paper, we describe a clinical case of solitary infantile hepatic hemangioendothelioma as a rare clinical presentation with elevation of this tumor marker.

Keywords. Hepatic hemangioma, propranolol, vascular tumor, alpha-fetoprotein.

Abreviaturas

IHE: Hemangioendotelioma infantil.

AFP: Alfa-fetoproteína sérica.

RMN: Resonancia magnética nuclear.

HCC: Carcinoma hepatocelular.

Introducción

El hemangioendotelioma infantil (IHE) es el tumor vascular más común en el hígado de los niños, representando alrededor del 20% de todos los tumores hepáticos primarios que pueden presentarse en la población pediátrica, con una prevalencia aproximada de 1%.1 Se diagnostica con mayor frecuencia antes de los seis meses de vida -hasta en el 90% de los casos- y cerca de un tercio de los casos se identifica durante el primer mes.1 Estas lesiones pueden presentarse como masas únicas o múltiples; aunque muchas son asintomáticas y se descubren de forma incidental, otras pueden comprometer la función hepática o generar manifestaciones clínicas como hepatomegalia o insuficiencia cardíaca de alto gasto.2-3 Su comportamiento natural se caracteriza por un crecimiento progresivo durante el primer año de vida, seguido en muchos casos por una regresión espontánea.4 Sin embargo, las formas múltiples suelen ser de más difícil manejo, asociándose a una tasa de mortalidad de hasta el 70%. Uno de los principales desafíos clínicos del IHE es el diagnóstico diferencial con tumores hepáticos malignos como el hepatoblastoma, especialmente cuando se presentan niveles elevados de alfa-fetoproteína (AFP),1, 3, 5-6 marcador típicamente asociado a neoplasias malignas. Aunque en el IHE la

Laura Valberdi Lecce y col.

AFP ajustada por edad rara vez se encuentra elevada, se han documentado casos en los que esto ocurre.3, 5, 6 Es posible que los responsables de dicho aumento de AFP sean los hepatocitos atrapados o adyacentes al tumor.3, 5 En tales contextos, la correcta interpretación clínica y el uso adecuado de las imágenes son fundamentales para evitar procedimientos invasivos innecesarios,7 aunque en algunos casos puede ser necesario recurrir a la resección quirúrgica para descartar malignidad. Presentamos un caso de IHE con elevación de AFP.

Presentación de caso

El paciente es un lactante de 2 meses, derivado a nuestro centro por hipotonía generalizada.

Antecedentes personales: recién nacido a término, embarazo controlado, serologías maternas negativas, parto vaginal, APGAR 9/9.

Enfermedad actual: presentó taquipnea transitoria que requirió oxigenoterapia durante 24 horas. Se constató hiperCPKemia (CPK de 167.329 UI/L) y se indicó derivación para su estudio.

Al ingreso presentó hipotonía axial sin dismorfias. Se solicitó una ecografía abdominal en la que se visualizó una imagen ecogénica hepática (segmento VI - VII), con bordes difusos, de 4 x 3.5 x 3.1 cm, que coincidió bioquímicamente con el aumento de las enzimas hepáticas y leve anemia. La AFP estaba dentro de valores normales para la edad (42,334 ng/ml), con plaquetas normales. (Figuras 1 A B C).

Figura 1. A

Hemangioendotelioma hepático infantil con elevación de alfa-fetoproteína

Posteriormente se solicitó angio-RMN con contraste, donse se observó una lesión focal hepática compatible con un tumor vascular (4.8 x 5,9 cm).

Se realizaron controles semanales de laboratorio. La curva de tendencia mostró un ascenso progresivo de AFP y trombocitosis sostenida (ver Tabla 1). Paralelamente, se encontró anemia y alteración leve de las enzimas hepáticas.

Tras realizar interconsultas con los servicios de oncología, hepatología y cirugía, se diagnosticó IHE. El paciente permaneció clínicamente estable, sin presentar visceromegalias ni signos de sobrecarga hemodinámica. Se decidió adoptar una conducta expectante.

Al constatarse crecimiento tumoral con efectos sobre las venas suprahepáticas, se indicó tratamiento con propanolol (1,13 mg/kg/día). Se realizó una ecografía

control que mostró aumento del tamaño tumoral. Se incrementó progresivamente la dosis de propanolol hasta llegar a 2 mg/kg/día, con evaluaciones cardiológicas quincenales.

En cuanto al aspecto neurológico, se enviaron muestras a Brasil para estudios genéticos. Se llegó al diagnóstico de distrofia congénita merosina negativa (gen LAMA2, homocigota).

La evolución clínica y la tendencia descendente de la AFP permitieron evitar tratamientos invasivos.

Discusión

El hemangioendotelioma infantil es el tumor vascular hepático más frecuente en pediatría.1 Si bien suele tener una evolución benigna con tendencia a la regresión espontánea, en algunos casos puede presentar complicaciones que requieren intervención.1, 4 Se clasifica en dos tipos: tipo 1, solitario y bien delimitado, con menor riesgo de complicaciones; y tipo 2, caracterizado por lesiones múltiples o difusas, asociado a mayor riesgo de insuficiencia cardíaca de alto gasto y mortalidad.1, 4, 7 El caso que presentamos corresponde a un IHE tipo 1, con evolución clínica favorable.

Uno de los principales desafíos diagnósticos en estos pacientes es la interpretación de los niveles de AFP. Si bien esta proteína es producida fisiológicamente por el hígado en desarrollo, su elevación sostenida fuera del rango esperado para la edad puede hacer sospechar la presencia de tumores malignos como

Figura 1. B
Figura 1. C
Tabla 1. Evolución de los parámetros analíticos del paciente

Hemangioendotelioma hepático infantil con elevación de alfa-fetoproteína

el hepatoblasto ma. 3, 6 Sin embargo, se han descripto casos de IHE con AFP elevada, 1, 3, 5-6 fenómeno que no parece originarse en el tejido tumoral propiamente dicho, sino en hepatocitos normales atrapados o adyacentes al tumor.

Estudios inmunohistoquímicos han demostrado que las células endoteliales del hemangioendotelioma no expresan AFP, mientras que los hepatocitos vecinos sí lo hacen. Kim y col. (2010) observaron este patrón en casos de hemangioma hepático, lo que sugiere un origen extra-tumoral para la elevación de la AFP3. Más recientemente, Itinteang y col. (2016) confirmaron mediante análisis de expresión génica que las células tumorales carecen de transcripción activa del gen de AFP.5 Se postula que los hepatocitos atrapados podrían activarse de forma regenerativa o displásica ante estímulos como hipoxia local, estrés metabólico o factores angiogénicos secretados por el tumor, contribuyendo así a la secreción de AFP.

En este contexto, la evaluación por imágenes adquiere un rol clave. La ecografía doppler es generalmente la primera herramienta diagnóstica, seguida por la resonancia magnética (RM) con contraste,7 que permite una mejor caracterización de las lesiones y su patrón vascular. La biopsia hepática debe reservarse para casos en los que la presentación clínica e imagenológica no permitan descartar una neoplasia maligna,4, 7 o cuando la evolución clínica no es favorable.

El tratamiento del IHE depende del estado clínico del paciente. En casos asintomáticos o con síntomas leves, es adecuado el seguimiento expectante. En cambio, frente a complicaciones como insuficiencia cardíaca, coagulopatías o compresión de las estructuras vasculares, puede ser necesario iniciar el tratamiento farmacológico o incluso considerar opciones quirúrgicas. En los últimos años, el propranolol -un betabloqueante no selectivo- se ha establecido como tratamiento de primera línea para los hemangiomas infantiles, incluyendo los hepáticos.4, 7-8 Su eficacia se explica por varios mecanismos: vasoconstricción inmediata, inhibición de la angiogénesis (por reducción de la expresión de VEGF y bFGF), e inducción de apoptosis en las células endoteliales tumorales.4

En el caso presentado, el propranolol no sólo indujo una reducción parcial del tamaño tumoral, sino también un descenso progresivo de los niveles de AFP, apoyando la hipótesis de que estos valores elevados se debían a hepatocitos funcionales atrapados más que a la transformación maligna.3, 5 Este hallazgo destaca la importancia de integrar adecuadamente la clínica, el laboratorio y los

Laura Valberdi Lecce y col.

hallazgos por imágenes para evitar intervenciones innecesarias o tratamientos oncológicos inapropiados.

Por último, la asociación del IHE con distrofia muscular congénita, no descrita previamente en la literatura revisada, sugiere la necesidad de un enfoque integral y multidisciplinario ante pacientes con presentaciones atípicas o comorbilidades poco frecuentes.

Conclusión

El caso presentado subraya la complejidad diagnóstica del IHE con elevación de AFP, hallazgo inusual que puede generar confusión con tumores malignos. El IHE debe ser considerado en el diagnóstico diferencial de lesiones hepáticas en lactantes, incluso ante niveles elevados de AFP. La evaluación multidisciplinaria y el seguimiento clínico evitaron intervenciones innecesarias. El tratamiento con propranolol resultó efectivo, aunque requirió un ajuste de la dosis, lo cual resalta la importancia de un monitoreo cercano.

Este reporte contribuye al conocimiento sobre la variabilidad clínica del IHE y refuerza la necesidad de considerar diagnósticos diferenciales en aquellos casos con elevación de AFP.

Consentimiento para la publicación. Para la confección de este manuscrito, se utilizaron datos anonimizados que no han distorsionado su significado científico.

Propiedad intelectual. Las autoras declaran que los datos y las figuras presentes en el manuscrito son originales y se realizaron en sus instituciones pertenecientes.

Financiamiento. Las autoras declaran que no hubo fuentes de financiación externas.

Conflicto de interés. Las autoras declaran no tener conflictos de interés en relación con este artículo.

Aviso de derechos de autor © 2026 Acta Gastroenterológica Latinoamericana. Este es un artículo de acceso abierto publicado bajo los términos de la Licencia Creative Commons Attribution (CC BY-NC-SA 4.0), la cual permite el uso, la distribución y la reproducción de forma no comercial, siempre que se cite al autor y la fuente original.

Hemangioendotelioma hepático infantil con elevación de alfa-fetoproteína

Cite este artículo como: Valberdi Lecce M L, Arregui M C, Otegui Banno C L y col. Hemangioendotelioma hepático infantil con elevación de alfa-fetoproteína: reporte de caso y revisión. Acta Gastroenterol Latinoam. 2026;56(1):114118 https://doi.org/10.52787/agl.v56i1.523

Referencias

1. Sarı N, Yalçın B, Akyüz C, Haliloğlu M, Büyükkapuçku M. Infantile hepatic hemangioendothelioma with elevated serum alpha-fetoprotein. Pediatr Hematol Oncol. 2006;23(8):639-647.

2. Mazereeuw-Hautier J, Hoeger PH, Benlahrech S, Ammour A, Broue P, Vial J, et al. Efficacy of propranolol in hepatic infantile hemangiomas with diffuse neonatal hemangiomatosis. J Pediatr. 2010;157(2):340-2. DOI: 10.1016/j.jpeds.2010.04.003

3. Hoekstra LT, Bieze M, Erdogan D, Roelofs JJ, Beuers UH, van Gulik TM. Management of giant liver hemangiomas: an update. Expert Rev Gastroenterol Hepatol. 2013;7(3):263-8. DOI: 10.1586/EGH.13.10

Gastroenterol Latinoam 2026;56(1):114-118

María Laura Valberdi Lecce y col.

4. Itinteang T, Chibnall AM, Marsh R, Dunne JC, de Jong S, Davis PF, et al. Elevated serum levels of alpha-fetoprotein in patients with infantile hemangioma are not derived from within the tumor. Front Surg. 2016;3:5. DOI: 10.3389/fsurg.2016.00005

5. Kim TJ, Lee YS, Song YS, Park CK, Shim SI, Kang CS, et al. Infantile hemangioendothelioma with elevated serum α-fetoprotein: report of 2 cases with immunohistochemical analysis. Hum Pathol. 2010;41(5):763-7. DOI: 10.1016/j.humpath.2009.05.019

6. Kacała A, Dorochowicz M, Matus I, Puła M, Korbecki A, Sobański M, et al. Hepatic hemangioma: review of imaging and therapeutic strategies. Medicina (Kaunas). 2024;60(3):449. DOI: 10.3390/medicina60030449

7. Fuchs J, Warmann SW, Urla C, Schäfer JF, Schmidt A. Management of benign liver tumors. Semin Pediatr Surg. 2020;29(5):150941. DOI: 10.1016/j.sempedsurg.2020.150941

8. Kim EH, Koh KN, Park M, Kim BE, Im HJ, Seo JJ. Clinical features of infantile hepatic hemangioendothelioma. Korean J Pediatr. 2011;54(6):260-266.

♦IMAGEN DEL NÚMERO

Solución del caso:

Más allá de lo frecuente. Un desafío diagnóstico en dolor abdominal

Viene de la página 58

Tomografía computada de abdomen y pelvis: se evidenció dilatación de la luz gástrica, con una distancia aorto-mesentérica de 4,5 mm y ángulo aortomesentérico de 16,9 grados (Figura 1), con pasaje filiforme del contraste oral por la tercera porción del duodeno (Figura 2), así como afinamiento de la vena renal izquierda (VRI) a dicho nivel (Figura 3) y dilatación retrograda de la misma (Figura 4). Se interpretó que los síntomas estaban vinculados a la compresión del duodeno y la VRI por el estrechamiento del espacio aorto-mesentérico, secundario a la disminución de la grasa periaórtica. En consecuencia, se diagnosticó la combinación del síndrome de la arteria mesentérica superior (SAMS) y el síndrome del cascanueces (SC). Se realizó tratamiento conservador con nutrición enteral fraccionada, metoclopramida y medidas posicionales, con aumento del peso y resolución de los síntomas a los 4 meses del diagnóstico.

Si bien la fisiopatología es compartida, la coexistencia del SAMS y el SC es extremadamente rara y se ha descripto en pocos reportes de casos. 1 Los métodos diagnósticos más utilizados son los estudios contrastados por tomografía computada o resonancia magnética, y la ecografía con Doppler. 1 Los puntos de corte de la distancia aorto-mesentérica y del ángulo aortomesentérico para el diagnóstico de SAMS son de 8 mm y 22 grados respectivamente. 2 Con respecto al SC, el estrechamiento abrupto del calibre de la VRI en el corte axial, por el compás aorto-mesentérico, reporta sensibilidad del 91,7% y especificidad del 88,9%. 3

Consentimiento para la publicación. Para la confección de este manuscrito, se utilizaron datos anonimizados que no han distorsionado su significado científico.

Propiedad intelectual. Los autores declaran que los datos y las figuras presentes en el manuscrito son originales y se realizaron en sus instituciones pertenecientes.

Financiamiento. Los autores declaran que no hubo fuentes de financiación externas.

Conflicto de interés. Los autores declaran no tener conflictos de interés en relación con este artículo.

Aviso de derechos de autor © 2026 Acta Gastroenterológica Latinoamericana. Este es un artículo de acceso abierto publicado bajo los términos de la Licencia Creative Commons Attribution (CC BY­NC­SA 4.0), la cual permite el uso, la distribución y la reproducción de forma no comercial, siempre que se cite al autor y la fuente original

Más allá de lo frecuente. Un desafío diagnóstico ante el dolor abdominal

Cite este artículo como: Uehara T N, de Arechavala J M, Dorado F y col. Más allá de lo frecuente. Un desafío diagnóstico en dolor abdominal. Acta Gastroenterol Latinoam. 2026;56(1):119­120. https://doi.org/10.52787/ agl.v56i1.551

Referencias

1. Boroomand-Saboor M, Moradi H. Double trouble: A case report of concurrent superior mesenteric artery syndrome and nutcracker syndrome in a previously healthy young adult. Int J Surg Case Rep. 2025 Feb;127(110968):110968.

Acta Gastroenterol Latinoam 2026;56(1):119-120

Tatiana Noemí Uehara y col.

2. Gozzo, Cecilia et al. “CT imaging findings of abdominopelvic vascular compression syndromes: what the radiologist needs to know.” Insights into imaging vol. 11,1 48. 17 Mar. 2020, DOI: 10.1186/ s13244-020-00852-z

3. Kolber, Marcin K et al. “Nutcracker syndrome: diagnosis and therapy.” Cardiovascular diagnosis and therapy vol. 11,5 (2021): 11401149. DOI: 10.21037/cdt-20-160

Turn static files into dynamic content formats.

Create a flipbook