Skip to main content

VOL 55 N4 2025

Page 1


GASTROENTEROLÓGICA LATINOAMERICANA

SECCIÓN EVIDENCIAS

¡Aleluya, hemos cruzado el Rubicón!

Confundidores y modificadores de efecto

Jorge A. Olmos

Rodolfo Pizarro, Leandro Barbagelata

REVISIONES

El estudio observacional

Mirta Ciocca, Ricardo Mastai, Arturo Cagide

Sobrecrecimiento bacteriano del intestino delgado y sobrecrecimiento metanógeno intestinal: ¿están sobrediagnosticados?

Anokhi S Kholwadwala, Eamonn M M Quigley

Reflujo laringofaríngeo: perspectivas históricas, diagnósticos y tratamientos actuales, y desafíos pendientes

Malabsorción e intolerancia a la lactosa

Ana L. Ordoñez-Vázquez, Abigail Fuentes-Montalvo, Enrique Coss-Adame

Callie Cuff, Rena Yadlapati

Utilidad de los neuromoduladores en la práctica clínica: visión del gastroenterólogo

Karla Rocío García-Zermeño, Jorge E. Aquino-Matus, Joanna Jiménez

Pavón, José María Remes-Troche

Intervenciones nutricionales emergentes para el síndrome de intestino irritable: dieta reducida en almidón y sacarosa, y dieta Mediterránea

Sara Noemí Schaab, María Cielo Gutiérrez

Los procedimientos quirúrgicos para la enfermedad por reflujo gastroesofágico

David Solinas, Mauricio Ramírez, Alejandro Nieponice

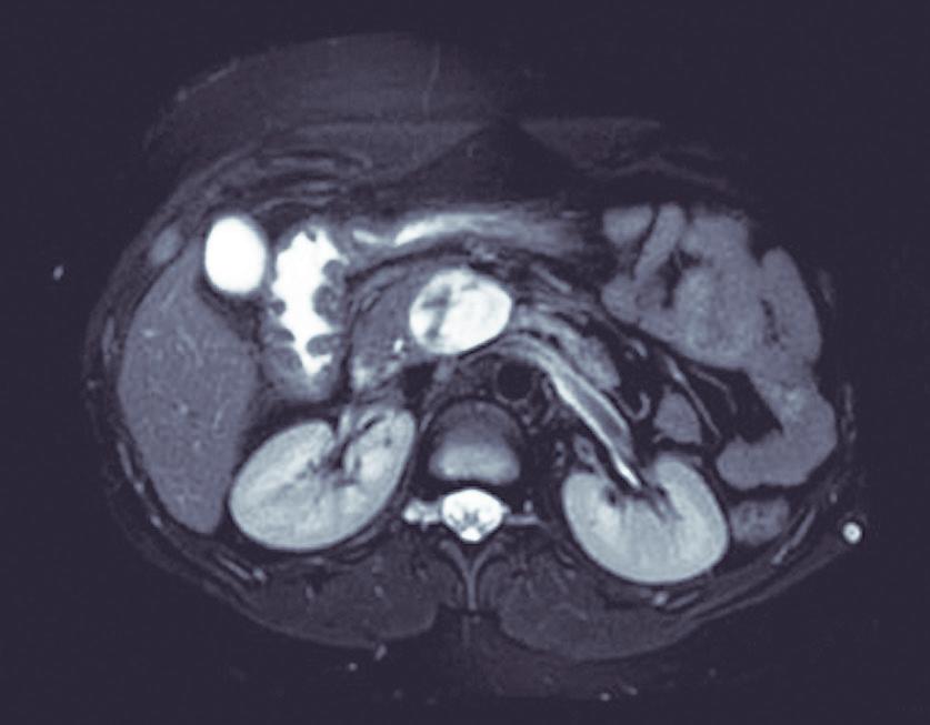
Variante anatómica biliar infrecuente observada mediante estudio endoscópico y colangioresonancia magnética

Iara Amira Yalis, Marcelo Milocco, Luis María Mercado, Pablo Alberto Farinelli

Evaluación de un paciente con dolor epigástrico y hallazgos sincrónicos infrecuentes

Roy López Grove, Daniela Soloaga, Juan Carlos Spina

MANUSCRITOS ORIGINALES

Factores pronósticos y supervivencia en pacientes operados de adenocarcinoma ductal de páncreas: análisis retrospectivo multicéntrico

Sofía Gamboa Miño, Gustavo Kohan, Rodrigo Vergara Sandoval, Jose na Dib Hasan, Aldana Iaccarino, Frank Deroi Sánchez, Eduardo J. Houghton

Prevalencia del síndrome de rumiación: experiencia en tres países del Grupo de Trabajo en Trastornos del Eje Cerebro-Intestino de la Sociedad Latinoamericana de Gastroenterología, Hepatología y Nutrición Pediátrica (SLAGHNP)

Aplicabilidad de la Clasi cación de Londres para caracterizar los trastornos de la defecación: estudio retrospectivo en un centro de atención terciaria de Argentina

Carlos Alberto Velasco-Benítez, Estefanía Rodríguez-López, Daniela Alejandra Velasco-Suárez, Claudia Jimena Ortiz-Rivera, Edgar JátivaMariño, Ada Ruth Dionicio Avendaño, Arony Martínez

Mauro Santana, María Marta Piskorz, Adriana Tevez, Fernanda Gutierrez Arispe, Carolina Acquafresca, Tatiana Uehara, Esteban González Ballerga, Jorge A. Olmos

Prevalencia de ansiedad y depresión en pacientes con enfermedad inflamatoria intestinal: asociación con la actividad de la enfermedad y su impacto en la calidad de vida

Camila María Briz, Federico Ignacio Cassella, Pablo Martín Perez, Santiago Marzullo, Luis Viola

Sociedad de Gastroenterología del Uruguay Órgano o cial Nº2

Vol 54 Nº4 año 2024

ISSN: 2469-1119

Uso de la Clasificación de Los Ángeles en la esofagitis erosiva: análisis de la concordancia interobservador-intraobservador

Morbimortalidad posgastrectomía abierta subtotal versus total por cáncer de estómago, con intención curativa: hallazgos en una cohorte histórica de un centro oncológico

Anahí Ayelén de los Rios, Juan Ignacio Olmos, José María Sanguinetti, Andrés Wonaga, Lorena Bortot, Esteban González Ballerga

Jesús Chang-Hermida, Fernando Miñán-Arana, Arantza Gabriela Carriel-Mendoza, Leonardo Aveiga-Cedeño, Miguel Puga-Tejada

Transaminasas en el primer día poshepatectomía y predicción de resultados en patología maligna

Lourdes Mollard, Rodrigo A Gasque, Magalí Chahdi Beltrame, Marcelo E Lenz, Francisco J Mattera, Emilio G Quiñonez

Prevalencia de disquecia infantil: experiencia del grupo de trabajo en trastornos del eje cerebro-intestino de la Sociedad Latinoamericana de Gastroenterología, Hepatología y Nutrición Pediátrica (SLAGHNP)

Prevalencia de Helicobacter pylori y hallazgos endoscópicos e histopatológicos en pacientes obesos candidatos a cirugía bariátrica

Ruby M Martínez Ramírez, Ángel Nadales, Mónica X Martínez Ramírez, Ariel

Siles Vásquez, María José Mejía Díazgranados

Carlos Alberto Velasco-Benítez, Diana Cárdenas-Sterling, Claudia Jimena Ortiz-Rivera, Edgar Játiva-Mariño, Fátima Azereth Reynoso Zarzosa, Mariana Xail Espriu Ramírez, Jorge Alberto Macías-Flores, Roberto Arturo Zablah Córdova, Ricardo Ariel Chanis Águila, Trini Fragoso Arbelo, Miltón Mejía Castro, Yunuen Rivera Suazo

Prevalencia de carcinoma epidermoide de esófago en pacientes con cáncer de cabeza y cuello: estudio unicéntrico

Ana Victoria Martins Lima, Fernanda Carvalho Franco, Cesar Saul Quevedo Penaloza, Diego Cadena Aguirre, Rafael Sartori Balbinot, Regina Rie Imada, Fabio Marioni, Renata Nobre Moura, Gustavo Andrade de Paulo, Adriana Vaz Safatle-Ribeiro, Louise Menezes da Cunha, Fábio Gonçalves Ferreira

Neoplasia sólida pseudopapilar de páncreas: diagnóstico y manejo quirúrgico en una paciente joven

Elías Lessin García Alba, Magalí Chahdi Beltrame, Natalia Soledad Ruíz, Gabriel Cervantes, Marcelo Enrique Lenz Virreira, Francisco Juan Mattera, Emilio Gastón Quiñonez

Uso exitoso de stent biliar en laceración profunda esofágica por cuerpo extraño en un niño de 1 año

Hiponatremia severa como marcadora de malignidad en pacientes con cirrosis hepática. Implicancias clínicas y relevancia pronóstica en dos casos

Rosangela Ramírez-Barranco, Álvaro Andrés Gómez-Venegas, Mónica Contreras Ramírez

Jonatan Nicolás Domínguez, María José Cáceres, Liria Martínez Rejtman, Matías Zanetti, Rubén Guillermo Fernández, Mariano Arguello

Neoplasia neurofibromatosa atípica pancreática con potencial biológico incierto (ANNUBP) simulando un tumor pseudopapilar sólido pancreático

Santiago Bustince, Nicolás H Dreifuss, Marcelo F Amante, Lucas McCormack, Pablo Capitanich

Evaluación de un paciente con dolor epigástrico y hallazgos sincrónicos infrecuentes

Roy López Grove, Daniela Soloaga, Juan Carlos Spina

Variante anatómica biliar infrecuente observada mediante estudio endoscópico y colangioresonancia magnética

Iara Amira Yalis, Marcelo Milocco, Luis María Mercado, Pablo Alberto Farinelli

Órgano oficial de la Sociedad Argentina de Gastroenterología (SAGE)

Es el órgano oficial de la Sociedad Argentina de Gastroenterología (SAGE)

COMITÉ EDITORIAL

EDITOR EN JEFE

Jorge A. Olmos

Hospital de Clínicas José de San Martín, Universidad de Buenos Aires. Programa en Efectividad Clínica. Universidad de Buenos Aires, CABA

EDITORES ASOCIADOS

Mercedes Manresa

Instituto de Gastroenterología Salim, Salta Capital. Curso de investigación, bioinformática y bioestadística. Hospital de Clínicas José de San Martín. Universidad de Buenos Aires, CABA

María Marta Piskorz

Hospital de Clínicas José de San Martín, Universidad de Buenos Aires. Programa en Efectividad Clínica. Universidad de Buenos Aires, CABA

Juan Pablo Stefanolo

Hospital Universitario - Fundación Favaloro. Programa en Efectividad Clínica. Universidad de Buenos Aires, CABA

Rodolfo Pizarro

Hospital Italiano de Buenos Aires. Master en Efectividad Clínica, CABA

Los integrantes del Comité Editorial acreditan formación en Edición y Corrección de Publicaciones Científicas. Universidad de Valencia, España Para la evaluación y preparación de los manuscritos, se siguen los requerimientos del COPE y el ICMJE

COMITÉ INTERNACIONAL

COORDINADOR DE EDITORES ASOCIADOS

Marcelo Vela - Mayo Clinic, Arizona, USA.

EDITORES ASOCIADOS

Alberto Caminero - Inés Pinto-Sánchez

Instituto de Investigación de enfermedades digestivas Farncombe Family. Universidad de McMaster, Hamilton, Ontario Canadá.

SECRETARIA

Tamara Alvarez Worobey

PRODUCCIÓN Y EDICIÓN

Raúl Groizard

DISEÑO Y ARMADO DIGITAL

Carlos Daniel Casuscelli

CORRECTORES

Esperanza Janeiro / Gabriela Churla / María Nochteff Avendaño

PUBLICIDAD

Establecer contacto con: Secretaría Revista Acta: actasage@gmail.com o Sociedad Argentina de Gastroenterología: sagesecretaria@gmail.com Tel.: 4816-9396/9391

SEGUINOS EN NUESTRAS REDES SOCIALES /actagastro /ACTA_Gastro /actagastro

COMISIÓN DIRECTIVA SAGE - PERÍODO 2025

PRESIDENTE

Alejandro Nieponice

VICEPRESIDENTE

Silvina Goncalves

SECRETARIA

Marina Cariello

PROSECRETARIO

Gabriel Ahumarán

TESORERO

Andrés Rocca

PROTESORERA

Patricia González

VOCALES TITULARES

Evelin Crocci

Torres Sasso Daiana

Joaquín Agotegaray

VOCALES SUPLENTES

Florencia Molfeso

Pablo Calzetta

Ezequiel Balaban

ÓRGANO DE FISCALIZACIÓN TITULAR

Oscar Laudanno

ÓRGANO DE FISCALIZACIÓN SUPLENTE

Marcelo Thomé

Órgano oficial de la Sociedad

Argentina de Gastroenterología (SAGE)

Es el órgano oficial de la Sociedad Argentina de Gastroenterología (SAGE)

REVISORES NACIONALES

Adet Ana

Araya Valentina

Argüero Julieta

Arregui Cristina

Barreyro Fernando

Basso Sandra

Bellicoso Maricel

Beskow Axel

Bestani Claudia

Bigliardi Román

Bosch Jorge

Bun Maximiliano

Cairo Fernando

Cassella Federico

Campana Juan Pablo

Cañero Velasco María C.

Carballido Marcela

Carraro Cecilia

Cartier Mariano

Cerisoli Cecilio

Collia Karina

Colombato Luis

Contreras Mónica

Costa Florencia

Curia Andrea

Curvale Cecilia

Daruich Jorge

De Paula Juan Andrés

Doweck Judith

Dulbecco Mariela

Etchevers Josefina

Facio Lucila

Fernández José L.

Galletto Paula

Garbi María Laura

Gómez Estanislao

González Andrea

González Sueyro Ramiro

Gorodner Verónica

Gualdrini Ubaldo

Gutiérrez María Cielo

Gutiérrez Silvia

Guzmán Mauricio

Hwang Hui Jer

Kujta Nadia

Lafage Matías

Laudanno Oscar

Loureiro Mariano

Lumi Carlos Miguel

Mahler Manuel

Mauriño Eduardo

Mauro Ezequiel Matías

Matoso Dolores

McCormack Lucas

Mendez Guillermo

Milito Daniela

Moreira Alejandro

Moreno María Laura

Nachman Fabio

Narvaez Adrián

Nieponice Alejandro

O’Connor Juan Manuel

Olmos Juan Ignacio

Pascual Russo Agostina

Pasqua Analía Verónica

Pollarsky Florencia

Pucci Betiana

Ramonet Margarita

REVISORES INTERNACIONALES

Alvares da Silva Mario Reis

Burgos Herbert

Cohen Henry

Lanas Ángel

Llor Xavier

Medrana Carlos Robles

Nabon Natalie

Olano Carolina

Pereira Lima Julio Carlos

Remes-Troche José M.

Propiedad intelectual Nº 231736 / Revista indexada en PubMed

Las opiniones y afirmaciones expresadas en artículos, editoriales u otras secciones de Acta Gastroenterológica Latinoamericana corresponden a los respectivos autores.

Rey Alejandro

Rocca Ana

Ruf Andrés

Sabban Judith Cohen

Sanguinetti José María

Santana Mauro

Santos Brian

Schlottmann Fran

Seehaus Alberto

Smecuol Edgardo

Soifer Luis

Soler Silvia Susana

Sosa Eduardo

Spina Juan

Tanno Hugo

Tenca Julio

Toca María del Carmen

Uehara Tatiana

Uranga Lucio

Vaccaro Carlos

Vaccaro María Inés

Varela Amanda

Villarroel Mariano

Volpacchio Mariano

Wagener Marta

Wainstein Daniel

Wonaga Andrés

Yamasato Florencia

Zagalsky David

Zamora Natalia

Zandalazini Hugo

Zubiri Cecilia

Riquelme Arnoldo

Tchekmedyian Asadur Jorge

Verdú Elena

Edita: Sociedad Argentina de Gastroenterología, Ciudad Autónoma de Buenos Aires, Argentina. ISSN 2469 -1119

SECCIÓN

Confundidores y modificadores de efecto

Rodolfo Pizarro, Leandro Barbagelata

IMAGEN DEL NÚMERO

Sobrecrecimiento bacteriano del intestino delgado y sobrecrecimiento metanógeno intestinal: ¿están sobrediagnosticados?

Anokhi S Kholwadwala, Eamonn M M Quigley

Reflujo laringofaríngeo: perspectivas históricas, diagnósticos y tratamientos actuales, y desafíos pendientes

Callie Cuff, Rena Yadlapati

Utilidad de los neuromoduladores en la práctica clínica: visión del gastroenterólogo

Karla Rocío García-Zermeño, Jorge E. Aquino-Matus, Joanna Jiménez Pavón, José María Remes-Troche

Los procedimientos quirúrgicos para la enfermedad por reflujo gastroesofágico

David Solinas, Mauricio Ramírez, Alejandro Nieponice

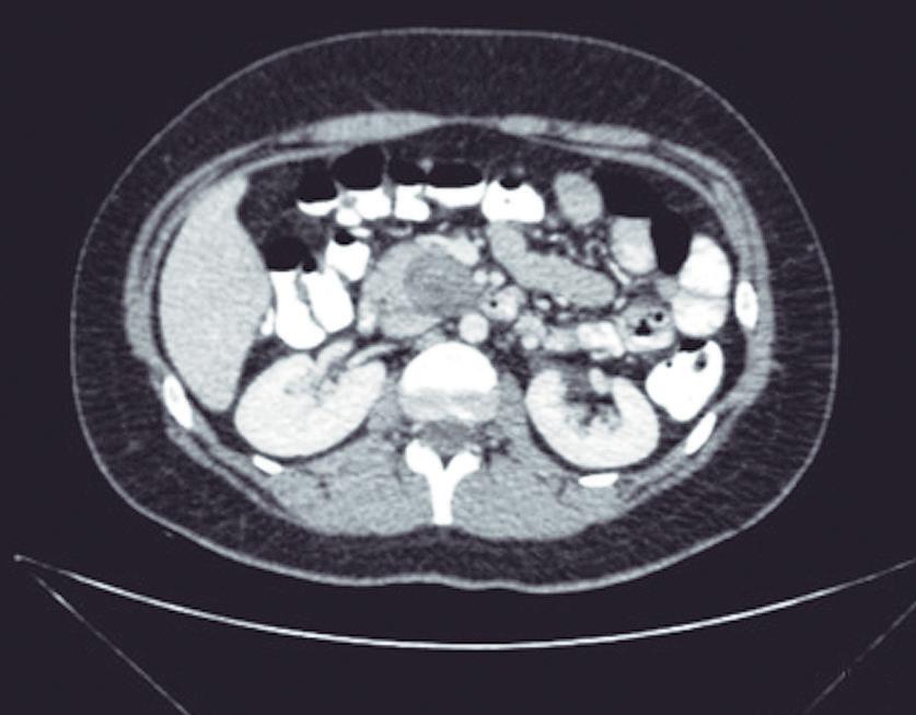
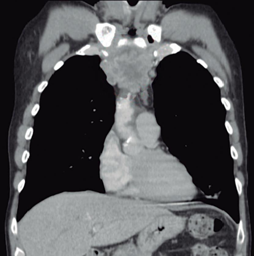
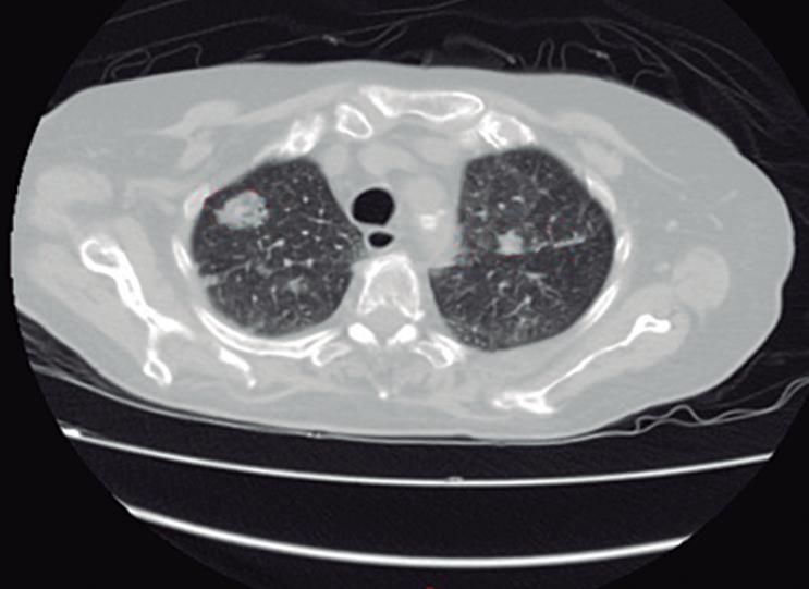
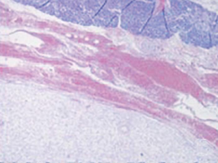
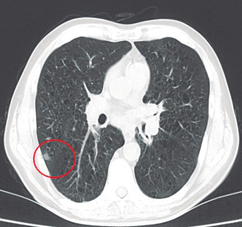
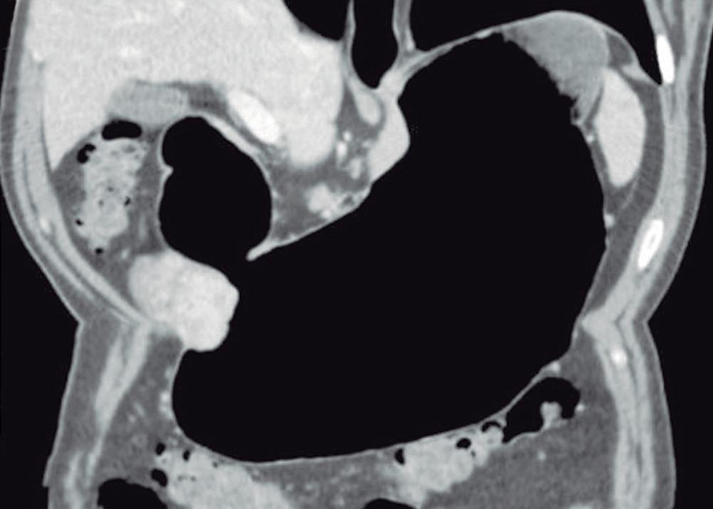
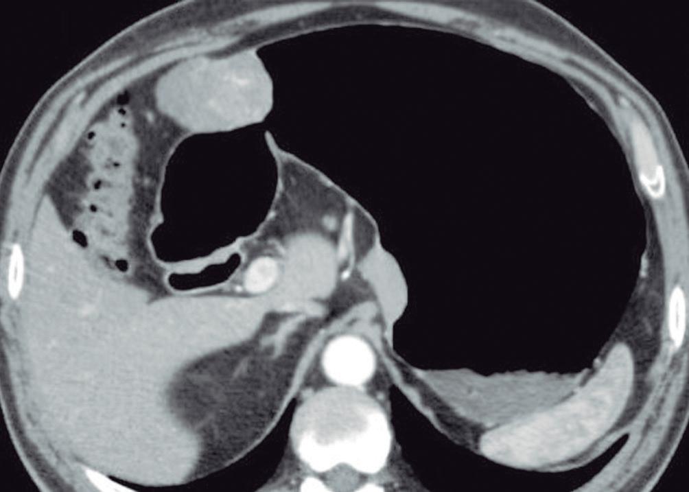
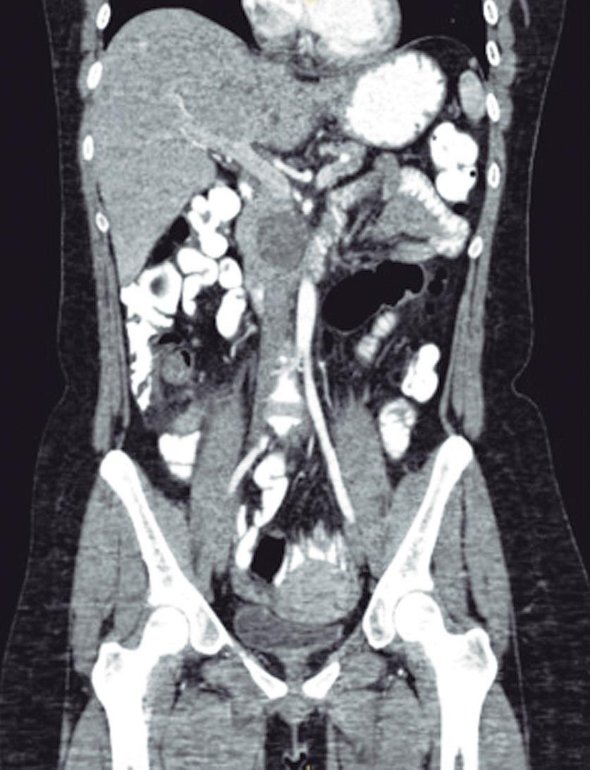
Evaluación de un paciente con dolor epigástrico y hallazgos sincrónicos infrecuentes

Roy López Grove, Daniela Soloaga, Juan Carlos Spina

MANUSCRITOS

Prevalencia del síndrome de rumiación: experiencia en tres países del Grupo de Trabajo en Trastornos del Eje Cerebro-Intestino de la Sociedad Latinoamericana de Gastroenterología, Hepatología y Nutrición Pediátrica (SLAGHNP)

Carlos Alberto Velasco-Benítez, Estefanía Rodríguez-López, Daniela Alejandra Velasco-Suárez, Claudia Jimena Ortiz-Rivera, Edgar JátivaMariño, Ada Ruth Dionicio Avendaño, Arony Martínez

Prevalencia de ansiedad y depresión en pacientes con enfermedad inflamatoria intestinal: asociación con la actividad de la enfermedad y su impacto en la calidad de vida

Camila María Briz, Federico Ignacio Cassella, Pablo Martín Perez, Santiago Marzullo, Luis Viola

Uso de la Clasificación de Los Ángeles en la esofagitis erosiva: análisis de la concordancia interobservador-intraobservador

Anahí Ayelén de los Rios, Juan Ignacio Olmos, José María Sanguinetti, Andrés Wonaga, Lorena Bortot, Esteban González Ballerga 350

u ÍNDICE

MANUSCRITOS ORIGINALES

Órgano oficial de la Sociedad Argentina de Gastroenterología (SAGE)

Transaminasas en el primer día poshepatectomía y predicción de resultados en patología maligna

Lourdes Mollard, Rodrigo A Gasque, Magalí Chahdi Beltrame, Marcelo E Lenz, Francisco J Mattera, Emilio G Quiñonez

Prevalencia de Helicobacter pylori y hallazgos endoscópicos e histopatológicos en pacientes obesos candidatos a cirugía bariátrica

Ruby M Martínez Ramírez, Ángel Nadales, Mónica X Martínez Ramírez, Ariel Siles Vásquez, María José Mejía Díazgranados 371

Prevalencia de carcinoma epidermoide de esófago en pacientes con cáncer de cabeza y cuello: estudio unicéntrico

Ana Victoria Martins Lima, Fernanda Carvalho Franco, Cesar Saul Quevedo Penaloza, Diego Cadena Aguirre, Rafael Sartori Balbinot, Regina Rie Imada, Fabio Marioni, Renata Nobre Moura, Gustavo Andrade de Paulo, Adriana Vaz Safatle-Ribeiro, Louise Menezes da Cunha, Fábio Gonçalves Ferreira 379

CASOS CLÍNICOS Hiponatremia severa como marcadora de malignidad en pacientes con cirrosis hepática. Implicancias clínicas y relevancia pronóstica en dos casos

Jonatan Nicolás Domínguez, María José Cáceres, Liria Martínez Rejtman, Matías Zanetti, Rubén Guillermo Fernández, Mariano Arguello

Neoplasia neurofibromatosa atípica pancreática con potencial biológico incierto (ANNUBP) simulando un tumor pseudopapilar sólido pancreático

Santiago Bustince, Nicolás H Dreifuss, Marcelo F Amante, Lucas McCormack, Pablo Capitanich

SOLUCIÓN

Evaluación de un paciente con dolor epigástrico y hallazgos sincrónicos infrecuentes

Roy López Grove, Daniela Soloaga, Juan Carlos Spina 398

Rodolfo Pizarro, Leandro Barbagelata

Intestinal Bacterial Overgrowth and Intestinal Methanogen Overgrowth: Are They Overdiagnosed? Anokhi S

Callie Cuff, Rena Yadlapati

The Usefulness of Neuromodulators in Clinical Practice: The Gastroenterologist’s Viewpoint

Karla Rocío García-Zermeño, Jorge E. Aquino-Matus, Joanna Jiménez Pavón, José María Remes-Troche

Roy López Grove, Daniela Soloaga, Juan Carlos Spina

Prevalence of Rumination Syndrome: Experience in Three Countries of the Working Group on Brain-Gut Disorders of the Latin American Society of Pediatric Gastroenterology, Hepatology and Nutrition (LASPGHAN)

Carlos Alberto Velasco-Benítez, Estefanía Rodríguez-López, Daniela Alejandra Velasco-Suárez, Claudia Jimena Ortiz-Rivera, Edgar JátivaMariño, Ada Ruth Dionicio Avendaño, Arony Martínez

Prevalence of Anxiety and Depression in Patients with Inflammatory Bowel Disease: Association with Disease Activity and its Impact on Quality of Life

Camila María Briz, Federico Ignacio Cassella, Pablo Martín Perez, Santiago Marzullo, Luis Viola

Use of Los Angeles Classification in Erosive Esophagitis: analysis of inter observer and intra-observer agreement

Anahí Ayelén de los Rios, Juan Ignacio Olmos, José María Sanguinetti, Andrés Wonaga, Lorena Bortot, Esteban González Ballerga

Órgano

oficial de la Sociedad Argentina de Gastroenterología (SAGE)

on the First Day After Hepatectomy and Prediction of Outcomes in Malignant Disease

Lourdes Mollard, Rodrigo A Gasque, Magalí Chahdi Beltrame, Marcelo E Lenz, Francisco J Mattera, Emilio G Quiñonez

Prevalence of Helicobacter pylori and Endoscopic and Histopathological Findings in Obese Patients who are Candidates for Bariatric Surgery

Ruby M Martínez Ramírez, Ángel Nadales, Mónica X Martínez Ramírez, Ariel Siles Vásquez, María José Mejía Díazgranados

Prevalence of Esophageal Squamous Cell Carcinoma among Patients with Head and Neck Cancer: A Single-Center Study

Ana Victoria Martins Lima, Fernanda Carvalho Franco, Cesar Saul Quevedo Penaloza, Diego Cadena Aguirre, Rafael Sartori Balbinot, Regina Rie Imada, Fabio Marioni, Renata Nobre Moura, Gustavo Andrade de Paulo, Adriana Vaz Safatle-Ribeiro, Louise Menezes da Cunha, Fábio Gonçalves Ferreira

CASE REPORTS Severe Hyponatremia as a Marker of Malignancy in Patients with Liver Cirrhosis. Clinical Implications and Prognostic Relevance in Two Cases

Jonatan Nicolás Domínguez, María José Cáceres, Liria Martínez Rejtman, Matías Zanetti, Rubén Guillermo Fernández, Mariano Arguello

Pancreatic Atypical Neurofibromatous Neoplasm with Uncertain Biological Potential (ANNUBP) Mimicking a Solid Pseudopapillary Tumor Pancreatic ANNUBP

Santiago Bustince, Nicolás H Dreifuss, Marcelo F Amante, Lucas McCormack, Pablo Capitanich

Roy López Grove, Daniela Soloaga, Juan Carlos Spina

Confundidores y modificadores de efecto

1 Jefe de Cardiología Hospital Italiano de Buenos Aires. Master en Efectividad Clínica.

2 Médico cardiólogo. Staff de cardiologia, Hospital Italiano de Buenos Aires.

Ciudad Autónoma de Buenos Aires, Argentina.

Acta Gastroenterol Latinoam 2025;55(4):270-272

Recibido: 05/11/2025 / Aceptado: 05/12/2025 / Publicado online: 23/12/2025 / https://doi.org/10.52787/agl.v55i4.560

En su definición clásica, un confundidor es una variable asociada tanto con la exposición como con el resultado, aunque no está en la línea causal. Esto podría generar asociaciones espurias u ocultar asociaciones existentes. Por ejemplo, un estudio que investiga la asociación entre la hipertensión y el riesgo de insuficiencia cardíaca debería considerar el sobrepeso de los participantes, un predictor independiente de insuficiencia cardíaca (ICC) que probablemente esté asociado con la hipertensión arterial. (Figura 1)

Idealmente, la confusión debería controlarse durante el diseño del estudio. En un ensayo clínico aleatorizado (ECA), por ejemplo, el objetivo de la aleatorización es evitar que las terceras variables de interés se desequilibren por la asignación del tratamiento, reduciendo así la posible confusión. En un estudio poblacional o en entornos clínicos donde la aleatorización no es factible o ética, la confusión puede mitigarse mediante el ajuste

multivariable en los modelos de regresión o con enfoques modernos alternativos en la inferencia causal (ejemplo: propensity score).

Figura 1. La relación entre la HTA (exposisión) y el riesgo de IC (variable de resultado) puede confundirse por el sobrepeso (confundidor) que es un factor de riesgo de desarrollar IC y posiblemente asociado a la hipertensión

Correspondencia: Leandro Barbagelata

Correo electrónico: leandro.barbagelata@hospitalitaliano.org.ar

Es necesario diferenciar el concepto de confundidor, ya explicado, del concepto de la modificación de efecto.

Un modificador del efecto es una tercera variable cuya presencia modifica la fuerza de asociación entre la exposición de interés y el resultado. A diferencia de la confusión, la modificación de efecto no debe ajustarse ni eliminarse, sino describirse.

En el ejemplo previo, la diabetes puede modificar el efecto en la relación de la HTA y la ICC ya que puede ser diferente en aquellos con y sin diabetes (DBT). Desde el punto de vista analítico, se puede detectar modificación de efecto al presentar los resultados en forma estratificada por nivel de la variable modificadora

Sobrepeso HTA

de efecto (ej. diabéticos y no diabéticos), incluyendo un término de interacción en el modelo de regresión. Esto se hace incluyendo el producto del modificador de efecto y la variable de exposición principal (en nuestro ejemplo: HTA x Diabetes), que tendrá un p valor estadísticamente significativo. (Figura 2)

Figura 2. La DBT puede actuar como un modificador de efecto en la relación entre la HTA y la IC; si la estratificamos y hay diferencias entre los DBT y no DBT estamos ante un modificador de efecto de esta relación

Si estratificamos por la presencia o no de DBT: Pacientes con diabetes

Variable dependiente

de confianza (ICC) (IC) 95%

2,5

Pacientes sin diabetes

Variable dependiente Hazard ratio

Lo podemos ejemplificar de la siguiente manera: Análisis univariado de la relación entre la HTA y el riesgo de ICC

Variable dependiente Hazard ratio Intervalo de confianza (ICC) (IC) 95%

2,1 (1,3 - 3,4)

Incorporamos la variable sobrepeso (análisis univariado)

Variable dependiente Hazard ratio

de confianza (ICC) (IC) 95%

Sobrepeso 1,7 (1,2 – 2,8)

Variable dependiente Hazard ratio

de confianza (ICC) (IC) 95%

1,2 (0,9 – 3,6)

– 3,3)

La relación entre la HTA y el riesgo de ICC se altera (el Hazard ratio de la relación univariada se atenúa al ajustar por sobrepeso (2,1 a 1,2) y el intervalo de confianza es menor a 1; no estadísticamente significativo) por la presencia de una segunda variable (sobrepeso), por lo tanto es un confundidor de la relación entre HTA e ICC.

- 3,4)

de confianza (ICC) (IC) 95%

1,3 (0,97 - 3,8)

Como vemos, la relación entre HTA e ICC es diferente según lo estratificamos por la presencia o ausencia de DBT (modificador de efecto); también podemos incorporar el producto de la interacción de DBT x HTA en el modelo multivariado de ICC.

El concepto de confundidor es de importancia clave en estudios observacionales en los que se pretende evaluar causalidad, ya que al no estar equilibradas las características basales de los participantes entre los grupos (randomización) hay que ajustar por ellas.

En estudios observacionales, la confusión es una fuente de sesgo que debe controlarse mediante diseño o análisis, mientras que la modificación de efecto representa una heterogeneidad real del efecto entre subgrupos y debe describirse. Distinguir confusión y modificación de efecto es un requisito para una adecuada interpretación causal.

Propiedad intelectual. Los autores declaran que los datos y las tablas presentes en el manuscrito son originales y se realizaron en sus instituciones pertenecientes.

Financiamiento. Los autores declaran que no hubo fuentes de financiación externas.

Conflictos de interés. Los autores declaran no tener conflictos de interés en relación con este artículo.

Aviso de derechos de autor © 2025 Acta Gastroenterológica Latinoamericana. Este es un artículo de acceso abierto publicado bajo los términos de la Licencia Creative Commons Attribution (CC BY-NC-SA 4.0), la cual permite el uso, la distribución y la reproducción de forma no comercial, siempre que se cite al autor y la fuente original.

HTA

Confundidores y modificadores de efecto Leandro Barbagelata y col.

Cite este artículo como: Pizarro R y Barbagelata L. Confundidores y Modificadores de Efecto. Acta Gastroenterol Latinoam. 2025;55(4):270-272. https://doi. org/10.52787/agl.v55i4.560

Bibliografía

Bellavia A, Murphy SA. Confounders, Effect Modifiers, and Mediators: Dealing With “Third Variables” in Cardiovascular Epidemiology. Circulation 2025;151:1755-1757.

Lee H, Cashin AG, Lamb SE, Hopewell S, et al.; AGReMA Group. A guideline for reporting mediation analyses of randomized trials and observational studies: the AGReMA statement. JAMA. 2021;326:1045-1056.

Jager KJ, Zoccali A, McLeod A, Dekker FW. Confounding: What it is and how to deal with it. Kidney International 2008;73:256-260. Kiriakou DN, Lewis DJ. Confounding by indication in clinical research. JAMA 2016;316:1818-1819.

Desai RJ, Franklin JM. Alternative approaches for confounding adjustment in observational studies using weighting based on the propensity score: a primer for practitioners. BMJ 2019;367:l5657.

Gastroenterol Latinoam 2025;55(4):270-272

Confounders and Effect Modifiers

1 Head of Cardiology, Hospital Italiano de Buenos Aires. Master in Clinical Effectiveness.

2 Cardiologist. Cardiology staff, Hospital Italiano de Buenos Aires. City of Buenos Aires, Argentina.

Acta Gastroenterol Latinoam 2025;55(4):273-275

Received: 05/11/2025 / Accepted: 05/12/2025 / Published online: 23/12/2025 / https://doi.org/10.52787/agl.v55i4.560

According to the classic definition, a confounder is a variable that is associated with both the exposure and the outcome, although it is not on the causal pathway. This could generate spurious associations or obscure existing ones. For instance, a study investigating the association between hypertension and heart failure risk should consider overweight participants, an independent predictor of heart failure (HF) that is likely associated with high blood pressure. (Figure 1) Ideally, confounding factors are controlled during the design of the study. In a randomized clinical trial (RCT), for instance, randomization aims to prevent third variables of interest from being unbalanced by treatment assignment, thereby reducing potential confounding. In population-based studies or clinical settings where randomization is not feasible or ethical, confounding can be mitigated through multivariable

adjustment in regression models or alternative modern approaches to causal inference (e.g., propensity score methods).

Figure 1. The relationship between hypertension (exposure) and the risk of congestive heart failure (outcome variable) may be confounded by overweight (confounder), which is a risk factor for developing heart failure and is possibly associated with hypertension

Correspondence: Leandro Barbagelata

Email: leandro.barbagelata@hospitalitaliano.org.ar

It is necessary to distinguish the concept of a confounder, as previously explained, from the concept of effect modifier.

An effect modifier is a third variable whose presence modifies the strength of the association between the exposure of interest and the outcome. Unlike confounding, effect modifiers should not be adjusted or eliminated, but described.

In the previous example, diabetes may modify the effect of the relationship between hypertension (HTN) and congestive heart failure (CHF), as it may

be different in those with and without diabetes. From an analytical point of view, effect modification can be detected by presenting results that are stratified by the level of the effect modifier variable (e.g., hypertension × diabetes) or by including an interaction term in the regression model. This is achieved by including the product of the effect modifier and the main exposure variable (in this example, HT x diabetes), which will have a statistically significant p - value. (Figure 2)

Figure 2. Diabetes can act as an effect modifier in the relationship between hypertension and congestive heart failure; if we stratify it and there are differences between individuals with and without diabetes, we are dealing with an effect modifier of this relationship

the univariate relationship is attenuated when adjusting for overweight (2.1 to 1.2), and the confidence interval is less than 1, which is not statistically significant). Therefore, overweight is a confounder of the relationship between hypertension and congestive heart failure.

If we stratify by the presence or absence of diabetes: Patients with diabetes

This can be exemplified as follows:

Univariate analysis of the relationship between hypertension and the risk of congestive heart failure

Patients without diabetes

We include the overweight variable (univariate analysis)

As we can see, the relationship between hypertension and congestive heart failure differs depending on whether we stratify by the presence or absence of diabetes (effect modifier); we can also include the product of the interaction of Diabetes × Hypertension in the multivariable model of heart failure.

The concept of a confounder is key in observational studies in which the aim is to assess causality, since the baseline characteristics of the participants are not balanced between groups (i.e., not randomized), and must be adjusted for.

In observational studies, confounding is a source of bias that must be controlled through design or analysis, whereas effect modification represents real heterogeneity of effect between subgroups and must be described. Distinguishing confounding factors from effect modification is a prerequisite for proper causal interpretation.

Intellectual property. The authors declare that the data and tables in this article are original and were carried out at their institutions.

Funding. The authors declare that there were no external sources of funding.

The relationship between hypertension and the risk of congestive heart failure is altered by to the presence of a second variable (overweight). The hazard ratio of

Conflict of interest. The authors declare that they have no conflicts of interest in relation to this article.

HTN
CHF
Diabetes

Confounders and Effect Modifiers

Copyright © 2025 Acta Gastroenterológica latinoamericana. This is an openaccess article released under the terms of the Creative Commons Attribution (CC BY-NCSA 4.0) license, which allows non-commercial use, distribution, and reproduction, provided the original author and source are acknowledged

Cite this article as: Pizarro R y Barbagelata L. Confoun- ders and Effect Modifiers. Acta Gastroenterol Latinoam. 2025;55(4):273-275. https://doi.org/10.52787/agl. v55i4.560

Bibliografy

Bellavia A, Murphy SA. Confounders, Effect Modifiers, and Mediators. Circulation 2025.

Lee H et al. AGReMA statement. JAMA 2021.

Jager KJ et al. Confounding: What it is and how to deal with it. Kidney Int 2008.

Kiriakou DN, Lewis DJ. Confounding by indication. JAMA 2016. Desai RJ, Franklin JM. Approaches for confounding adjustment. BMJ 2019.

Emiliano Rossi et al.

Small Intestinal Bacterial Overgrowth and Intestinal Methanogen Overgrowth: Are They Overdiagnosed?

1 Bachelor of Science, Master of Science. School of Engineering Medicine, Texas A&M University, Houston, Texas, USA.

2 David M. Underwood Chair of Medicine in Digestive Disorders. Co-director, Lynda K. and David M. Underwood Center for Digestive Disorders. Chief, Gastroenterology and Hepatology. Professor of Medicine, Institute of Academic Medicine, Houston Methodist Hospital. Vice-Chair for Research, Department of Medicine. Professor of Medicine, Weill Cornell Medical College. Adjunct Professor of Medicine, Texas A&M Health Sciences Center College of Medicine. Adjunct Professor, School of Medicine, University College Cork.

Acta Gastroenterol Latinoam 2025;55(4):276-291

Received: 26/11/2025 / Accepted: 16/12/2025 / Published online: 23/12/2025 / https://doi.org/10.52787/agl.v55i4.570

Summary

Small intestinal bacterial overgrowth was originally described as a cause of maldigestion and malabsorption, and its diagnosis was based on the culture of aspirates from the upper small intestine. The application of hydrogen breath tests to assess suspected small intestinal bacterial overgrowth increased the frequency of this diagnosis dramatically, and expanded its clinical context from maldigestion to include a number of non-specific gastrointestinal complaints and even some systemic ills. However, a critical review of recent liter-

ature suggests that reliance on breath tests, particularly those using lactulose as the substrate, has led to overdiagnosis of small intestinal bacterial overgrowth. Many aspects of the current concept of its diagnosis are contentious and unresolved. These include diagnostic thresholds, response to antibiotic therapy, as well as the roles of methane, hydrogen sulfide, and other gases emanating from bacterial fermentation in the gastrointestinal tract. We discuss these issues, paying particular attention to the concept of intestinal methanogen overgrowth and exploring the role of methanogens and methane in gastrointestinal homeostasis. We advocate a critical and cautious approach to the diagnosis of small intestinal bacterial overgrowth and intestinal methanogen overgrowth, and that antibiotics are prescribed are with great care. We also look forward to the application of modern molecular microbiology to the study of the small intestinal microbiome and metabolome, including a more complete understanding of methane biology.

Correspondence: Eamonn M M Quigley

Email: equigley@houstonmethodist.org

Keywords. Small intestinal bacterial overgrowth, small intestine, malabsorption, microbiome, irritable bowel syndrome.

Small Intestinal Bacterial Overgrowth and Intestinal Methanogen Overgrowth: Are They Overdiagnosed? Anokhi S Kholwadwala et al.

Sobrecrecimiento bacteriano del intestino delgado y sobrecrecimiento metanógeno intestinal: ¿están sobrediagnosticados?

Resumen

El sobrecrecimiento bacteriano del intestino delgado se describió originalmente como una causa de mala digestión y malabsorción; su diagnóstico se basaba en el cultivo de aspirados del intestino delgado superior. La aplicación de pruebas de hidrógeno en el aliento para evaluar la sospecha de sobrecrecimiento bacteriano del intestino delgado aumentó drásticamente la frecuencia de este diagnóstico y amplió su contexto clínico desde la mala digestión hasta incluir una serie de molestias gastrointestinales inespecíficas e incluso algunas enfermedades sistémicas. Sin embargo, una revisión crítica de la literatura reciente sugiere que la dependencia de las pruebas de aliento, en particular las que utilizan lactulosa como sustrato, ha llevado a un sobrediagnóstico del sobrecrecimiento bacteriano del intestino delgado. Muchos aspectos del concepto actual de su diagnóstico son controvertidos y no están resueltos. Entre ellos se incluyen los umbrales para el diagnóstico, la respuesta al tratamiento con antibióticos y el papel del metano, el sulfuro de hidrógeno y otros gases que emanan de la fermentación bacteriana en el tracto gastrointestinal. Analizamos esos temas prestando especial atención al concepto de sobrecrecimiento de metanógenos intestinales y explorando el papel de los metanógenos y el metano en la homeostasis gastrointestinal. Abogamos por un enfoque crítico y cauteloso del diagnóstico del sobrecrecimiento bacteriano del intestino delgado y el sobrecrecimiento de metanógenos intestinales, y por una gran precaución en la prescripción de antibióticos. También tenemos interés en la aplicación de la microbiología molecular moderna al estudio del microbioma y el metaboloma del intestino delgado, incluyendo una comprensión más completa de la biología del metano.

Palabras claves. Sobrecrecimiento bacteriano del intestino delgado, intestino delgado, malabsorción, microbioma, síndrome del intestino irritable.

LBHT= Lactulose breath hydrogen test.

IBS= Irritable bowel syndrome.

GI= Gastrointestinal.

US= United States of America.

GBT= Glucose breath test.

ppm= Parts per million.

RNA= Ribonucleic acid.

DNA= Deoxyribinucleic acid.

mcrA= Alpha subunit of Methyl-coenzyme M Reductase.

CTT= Colon transit time.

SBTT= Small bowel transit time.

3S-EC-SIM= 3-stage environmental control system for intestinal microbiota.

EPR= Electron paramagnetic resonance.

mmHg= Millimeters of mercury.

FODMAP= Fermentable oligosaccharides, disaccharides, monosaccharides and polyols.

HMG CoA reductase= Hydroxymethylglutaryl coenzyme A reductase.

SHIME= Simulator of the Human Intestinal Microbial Ecosystem.

TNO TIM= TNO (Toegepast Natuurwetenschappelijk Onderzoek, Netherlands Organization for Applied Scientific Research) Intestinal Model (TIM).

HMA= Human microbiota associated.

Introduction

Abbreviations

SIBO= Small intestinal bacterial overgrowth.

CFU= Colony forming units.

IMO= Intestinal methanogen overgrowth.

The idea that an abnormal, excessive, or dysfunctional bacterial population in the gastrointestinal tract can cause disease is far from new. Consider the popularity of the concept of “autointoxication” in the nineteenth century and how often colectomy was performed to rid the body of the “vile humors” emanating from “putrefaction” in the colon.1 As the importance of normal resident flora was recognized, the focus shifted to detecting abnormalities in the composition and function of microbiota, as they are now referred to, rather than flora. In the many decades that preceded the introduction of effective acid suppressants, surgery represented the optimal treatment for persistent or complicated peptic ulcer disease, and it was soon recognized that some of these procedures led to the formation of blind loops where bacteria could proliferate and impair di-

Small Intestinal Bacterial Overgrowth and Intestinal Methanogen Overgrowth: Are They Overdiagnosed? Anokhi S Kholwadwala et al.

gestion and absorption in the small intestine.2 Indeed, some of the very first descriptions of what we would now describe as small intestinal bacterial overgrowth (SIBO) involved the detection of vitamin B12 deficiency in a condition referred to as “blind loop syndrome”.3 The subsequent recognition that this same syndrome could arise in other contexts, such as colo-enteric fistulae, intestinal resection, or extensive jejunal diverticulosis necessitated a revision of terminology. The term “contaminated bowel syndrome” was adopted but it was ultimately replaced by our current term, SIBO.4 Even before metabolomics emerged, studies on hepatic encephalopathy identified the key role of bacterial metabolism of protein in the lumen of the gut in the development of the clinical manifestations of this chronic liver disease complication.5

SIBO as a cause of maldigestion and malabsorption

The latter half of the last century witnessed a series of seminal clinical research studies that described in considerable detail how the overgrowth of certain bacterial species, normally confined to the colon, could lead to maldigestion, malabsorption and even malnutrition. 6, 7 Through their uptake of the vitamin, bacteria were shown to cause B 12 deficiency and megaloblastic anemia, while their production of folic acid produced an unusual combination of low B 12 and elevated folic acid. Deconjugation of bile acids in the proximal small intestine disrupted fat digestion leading to steatorrhea and malabsorption of fat-soluble vitamins. Direct competition between bacteria and the host for other nutrients, together with mucosal injury in more severe cases, led to hypoproteinemia, edema and even protein-losing enteropathy. Other metabolic products of bacteria and/or bacteria-host interactions could also generate symptoms, such as bacterial production of vitamin K interfering with anticoagulant efficacy and hepatic encephalopathy generated by bacterial synthesis of ammonia and other neurotoxins, as well as the generation of d-lactic acid, acetaldehyde and alcohol as a result of SIBO in certain clinical circumstances. 6, 7

In this scenario, where SIBO was viewed as an important cause of the malabsorption syndrome, the likely cause of SIBO could be predicted by an understanding of those factors that maintain microbiological homeostasis in the small intestine under healthy conditions:

1. Gastric acid.

2. Intestinal and pancreatic enzymes.

3. Bile.

4. Normal intestinal motility, including the migrating motor complex.

5. An intact intestinal anatomy, including the ileocecal valve/sphincter.

6. An intact resident microbiome.

Accordingly, achlorhydria, pancreatic insufficiency, disorders such as scleroderma and chronic intestinal pseudo-obstruction, which feature impaired motility, surgical procedures that led to the formation of blind loops, resection of the ileocecal region or disease states such as jejunal diverticulosis, Crohn’s disease or radiation enteritis that led to stasis were all associated with the development of SIBO.6

In this scenario, diagnosis rested on detecting clinical and laboratory evidence of maldigestion and malabsorption, as well as defining an excess of bacteria in jejunal aspirates. Based on studies correlating bacterial counts (particularly coliforms) with laboratory measures of maldigestion/malabsorption, a threshold of 10 5 was proposed as the upper limit of normal for the number of colony-forming units (CFU) per ml of jejunal aspirate. For many years, this threshold reigned supreme as the standard for the diagnosis of SIBO. 8 With the advent of endoscopy, sampling from the duodenum rather than the jejunum became the norm, and the threshold shifted downward to 10 3. However, this shift was never validated in the context of maldigestion/malabsorption. Regardless of the technique employed, aspirates were invasive, subject to contamination as the catheter traversed the upper GI and aerodigestive tracts, and likely underestimated the numbers of anaerobes.

Therefore, much effort was exerted toward developing non-invasive tests. Bile acid breath tests were first in line. 9 In these tests, bile acids radiolabelled with 14C or 13C were ingested in a liquid test meal. When deconjugated by bacteria, CO 2 was released, absorbed and excreted in breath samples. These tests did involve radiation exposure (when 14C was employed) and when evaluated proved inferior to aspirates. CO 2 excretion following ingestion of radiolabelled D-xylose was also evaluated as a test for SIBO, 9 but the arrival of hydrogen breath tests led them, by virtue of their ease of administration and measurement, to become the preferred modality for the detection of SIBO in clinical practice. Using lactulose as the substrate, hydrogen breath tests had already been widely used to

Small Intestinal Bacterial Overgrowth and Intestinal Methanogen Overgrowth: Are They Overdiagnosed? Anokhi S Kholwadwala et al.

measure oro-cecal transit 10 and the lactulose breath hydrogen test (LBHT) was rapidly adopted as a test for SIBO in clinical practice. Yes, it was easy to perform and seemed even easier to interpret, but there was a problem that plagues the field to this day. Pandora’s box had been opened!

SIBO - beyond maldigestion and maldigestion - the era of hydrogen breath tests

About 40 years ago, the senior author of this review (EMMQ), while still a trainee, was asked to give two lectures on the pathophysiology of maldigestion and malabsorption to medical students. This was his first introduction to SIBO and, upon reading the textbooks, he marvelled at how the symptoms resulting from SIBO could be explained by bacterial disruption of various digestive processes. One moved seamlessly from risk factors to pathophysiology to symptoms and their treatment. A very neat package, indeed.

Since then, to quote the great Irish poet, William Butler Yeats, “all changed utterly”. The application of LBHT testing to individuals with irritable bowel syndrome (IBS), chronic bloating, and other GI and nonGI symptoms led to an apparent epidemic of SIBO. In the initial, seminal studies, SIBO was diagnosed in up to 84% of IBS subjects based on LBHT results. Inevitably, antibiotics, initially neomycin and later rifaximin, came to be prescribed and encouraging results were reported.11, 12 Indeed, rifaximin ultimately came to be approved in the US for non-constipated IBS,13 but it is important to note that in the pivotal, phase III study on which this approval was based, breath testing was performed in only a small minority of subjects at baseline,14 so this was a study on non-constipated IBS, not on SIBO in IBS. It should also be noted that the therapeutic gain for rifaximin in IBS was small, around 7 - 10%.13 So, to again paraphrase Yeats, had “a terrible beauty been born”? Was SIBO the main cause of IBS or was something else going on?

Several factors led to the almost universal adoption of hydrogen breath tests for the diagnosis of SIBO in the United States. Of these, ease of performance and acceptability to the patient were foremost. The test could be readily performed and interpreted in the gastroenterologist’s office. Over the subsequent decades studies employing lactulose as the substrate demonstrated apparently high prevalence rates for SIBO, not only in IBS, but across a wide range of gastrointestinal and systemic disorders. Notes of caution were evident at an early stage in the history of the lactulose breath

hydrogen test - its origins, after all, lay in the assessment of oro-cecal transit. Concerns regarding the impact of accelerated small intestinal transit, such as may occur in diarrheal states and potentially exacerbated by lactulose itself, on the interpretation of this test were raised and borne out in studies that simultaneously tracked small bowel transit and the breath hydrogen peak. 15 It soon became evident that rapid transit led to a false positive test. Comparisons with simultaneously performed small bowel aspirates and glucose breath tests further undermined the reliability of the lactulose breath hydrogen test and made it abundantly clear that the very high rates of SIBO reported with this test included a very significant burden of test artifact. 16, 17 In one study, the false positive rate was so high that it failed to differentiate IBS from controls. 17 It should come as no surprise, therefore, that a multinational panel of experts recently recommended the abandonment of the lactulose breath hydrogen test in the diagnosis of SIBO. 18

The glucose breath hydrogen test and small intestinal aspirates have their own set of problems. Prevalence rates for SIBO are certainly lower when glucose is used as the substrate for a hydrogen breath test, and positive tests are more frequent among IBS subjects than among controls,17 but false positive tests do occur, albeit at a much lower rate than when lactulose is the substrate. For example, Lin and Massey reported a 45% false positive rate for glucose breath tests due to rapid transit.19 For aspirates, whether obtained from the jejunum or duodenum, contamination with microbes in the upper aerodigestive tract and protection of strict anaerobes from exposure to oxygen can be a problem. Innovations in catheter design have minimized the impact of contamination but preservation of anaerobes remains an issue.20, 21

At least two meta-analyses have examined the outcomes of diagnostic tests for SIBO among subjects with IBS. Both found that SIBO prevalence in IBS is highly dependent on test modality, with the highest rates being noted with a lactulose breath test and the lowest with aspirates that define SIBO at a threshold of 10 3 16, 17 In the meta-analysis performed by Shah and colleagues, heterogeneity was extremely high for all tests, with the exception of the glucose breath test. This undoubtedly contributed to their finding that SIBO prevalence was no different from that in the control group when using the LBHT or aspirates and cultures interpreted based on a cut-off of threshold of 10 5 17 (Table 1).

Small Intestinal Bacterial Overgrowth and Intestinal Methanogen Overgrowth: Are They Overdiagnosed? Anokhi S Kholwadwala et

(SIBO) among subjects with irritable bowel syndrome (IBS). Based on Shah et al 17

The diagnostic thresholds for all of these tests remain contentious, and variations in their definition are a major contributor to the uncertainty surrounding the interpretation of these tests. Should the cutoff for an aspirate be 10 3 or 10 5? The latter, though time honoured, was developed on the basis of aspirates taken from the proximal jejunum. Given the luminal conditions extant in the duodenum, a lower threshold seems logical and has been widely employed, but has it been validated? Studies comparing aspirates and microbiome populations (evaluated by high-throughput sequencing) in the lumen or at the mucosal surface have provided conflicting results, with some demonstrating a high degree of correlation between aspirates and an altered microbiome and others failing to demonstrate any significant relationship. 22-28 Turning to hydrogen breath tests, two issues need to be addressed: At what time after substrate ingestion is a peak regarded as “early”, and what rise in parts per million (ppm) should be regarded as significant? Various intervals have been proposed with the North American Consensus on Hydrogen and Methane-Based Breath Testing in Gastrointestinal Disorders recommending that peaks noted before 90 minutes have elapsed should be regarded as reflecting bacterial fermentation within the small intestine. 29 Given that oro-cecal transit rates as rapid as 48 ± 6 minutes have been reported with a 10 g dose of lactulose 30 when administered as a drink (without a meal), and that others have noted a mean oro-cecal transit time of 75 minutes with 80 g of glucose, 19 the problems with a 90-minute cut-off become glaringly obvious, as revealed in a recent study. 31

With regard to what degree of rise in breath hydrogen from baseline is considered significant, the North American Consensus defined a rise of ≥ 20 ppm as indicative of a positive test; 29 a threshold that seems to accord with clinical features but has not been rigorously tested in terms of predictability for therapeutic response. Criteria for a significant rise in methane will be discussed later in this review.

The clinician will ask the critical question - do any of these test parameters predict therapeutic response? Here we have surprisingly limited data and what is available is not of the highest quality. Various antibiotic regimens have been advocated over the years, but few have been subjected to the rigor of adequately powered, randomized placebo-controlled clinical trials. The limitations of the available literature on antibiotic therapy in SIBO were laid bare in a recent meta-analysis that concluded that while antibiotics appeared to be efficacious in treating SIBO, small sample sizes and poor data quality limited this interpretation. 32 They also noted that symptomatic response rates to antibiotics in IBS appeared to be higher in IBS patients with SIBO. 32 As mentioned above, a small number of subjects enrolled in the pivotal trial that led to the approval of rifaximin in non-constipated IBS in the US underwent breath testing before and after treatment with rifaximin. 14 While a positive baseline LBHT was predictive of a better response to rifaximin, and three-quarters of those who responded to rifaximin had switched from a positive to a negative breath test after treatment, 56% of those who remained positive after treatment

Table 1. Comparison of the results of various tests for small intestinal bacterial overgrowth
LHBT = lactulose breath hydrogen test. GBT = glucose breath test. OR = odds ratio.

Small Intestinal Bacterial Overgrowth and Intestinal Methanogen Overgrowth: Are They Overdiagnosed? Anokhi S Kholwadwala et al.

were also designated as responders. 14 Large multicenter studies of antibiotic efficacy in SIBO related to IBS are clearly needed. Another major issue for the clinician is recurrence. One study reported a recurrence rate of just under 44% (as indicated by glucose breath test positivity) following SIBO antibiotic therapy. 33 While rifaximin, perhaps the most widely prescribed antibiotic for SIBO, has been shown to retain efficacy on repeat therapy 34 clinicians must be aware of the specter of antibiotic resistance, which is a global public health concern. Although rifaximin has traditionally been considered low-risk for the induction of antibiotic resistance, 35 recent reports on the emergence of resistance to important human pathogens among individuals on long-term rifaximin therapy for hepatic encephalopathy 36, 37 are, therefore, concerning.

First, the clinician must be absolutely sure that SIBO is present and responsible for the patient’s symptoms. Second, the clinician must be sure that persistent or recurrent symptoms are still attributable to this diagnosis. Otherwise, repeated courses of broad-spectrum antibiotics will be prescribed to address non-specific symptoms and/or assuage patients convinced that they have SIBO and need another round of antibiotics, with deleterious outcomes for the patient and the community. As clinicians, it is our responsibility to accurately

diagnose SIBO and embark on treatment only when convinced that SIBO is really evident and relevant to the patient’s symptoms and clinical context. This is clearly much easier in the setting of maldigestion and malabsorption but challenging in a scenario where neither is evident and symptoms are non-specific.

Intestinal Methanogen Overgrowth – Methane is added to the equation

Most commercially available breath testing equipment now provides a readout of methane levels, in addition to hydrogen levels in breath samples. This led to a dramatic increase in the reporting of what is referred to as intestinal methanogen overgrowth (IMO). Before we discuss the diagnosis and management of IMO let us review what we know of the biology of methane.

The appearance of methane in human breath derives from the actions of a group of Archaeal microorganisms referred to as methanogens in the human gastrointestinal tract. By combining carbon (from carbon dioxide) with hydrogen, methanogens such as Methanobrevibacter smithii produce methane. Since four molecules of hydrogen are utilized to produce one molecule of methane, this reaction not only reduces the concentration of hydrogen but also the total intraluminal gas volume 38, 39 (Figures 1 and 2).

Figure 1. Methane Biosynthesis in the human gastrointestinal tract

Small Intestinal Bacterial Overgrowth and Intestinal Methanogen Overgrowth: Are They Overdiagnosed? Anokhi S Kholwadwala et al.

Although proportions vary, largely due to sampling technique, it is estimated that approximately one-third of the Western population produces methane, 39 and this proportion has remained relatively stable over the last several decades. 40

Methane production is influenced by both genetic and environmental factors. 39 Early twin studies with breath samples of 274 twin pairs found that methane excretion was attributed more to shared and unique environmental effects than to genetic effects. 41 Environmental factors include low-fat intake and low vitamin B 12 intake, which increase methanogen populations. 42

However, a more recent study of methanogen carriage, measured using the mcrA gene as a marker, showed a concordance rate of 74% in monozygotic twins versus 15% in dizygotic twins, indicating a strong host genetic influence on the presence of gut methanogens. 43

Archaea and Methanogens

Archaea are microorganisms that form a domain distinct from bacteria. Although similar in size and general morphology to bacteria, distinguishing features include the ability to perform methanogenesis and the absence of peptidoglycan in the cell wall. They also have a more complex RNA polymerase which is similar to that of eukaryotes. 44 Methanogens are one group of the domain Archaea and are strict anaerobes. 44

The presence of methanogens is influenced by several factors, some of which are undoubtedly interrelated: stool consistency, bile acid concentrations, oxygen tension, and proximity to bacterial populations. 44 Methanogens are most common in areas of the GI tract where stool is more solid, notably the left colon. 39, 40

Normally, only a small amount of primary bile acids gains access to the colon, where they undergo biotransformation to secondary bile acids through interaction with gut microbiota. 45 These primary and secondary bile acids, particularly in their lipophilic, unconjugated forms, act as detergents and disrupt cell membranes. 45 This leads to bacteriostatic and bactericidal effects on susceptible bacteria. 46 However, certain bacterial species, including Salmonella , E. coli , and Campylobacter , exhibit tolerance to bile acids. 45

Methanogens, on the other hand, are poorly tol -

erant. Exposure to higher concentrations of bile acids, particularly unconjugated ones, results in a parallel decline in methane production and an increase in hydrogen concentration. 47

Methanogens can only survive in an environment where they can maintain intimate contact with certain bacteria, as they need these bacteria to process polymers into usable substrates (Figure 2).

Polysaccharides, lipids, and proteins all need to undergo hydrolysis, fermentation, and acetogenesis before they can be used by methanogens. Benefits are mutual.

The aforementioned end products of bacterial metabolism, such as hydrogen, formate, and acetate, can become toxic to the bacteria through acidification of the milieu (Figures 1 and 2); however, methanogens can minimize their accumulation. 48 Factors promoting these syntropic relationships between bacteria and methanogens include short interspecies distances for metabolite transfer (thus the relationship to a more solid stool), as well as the presence of bacteria that, like methanogens, are slow-growing and can provide a predictable supply of the metabolites required by methanogens.

48

Examples of such bacteria include the genera Christensenella and Bacteroides . 48 This interaction between methanogens and bacteria can disrupt the microbiome in one of two ways 48 (Figure 2):

1. An increased methanogen population requires bacteria to generate more products for methanogen metabolism, thereby altering bacterial populations, or,

2. A decreased methanogen population will be unable to create an environment capable of supporting appropriate bacteria due to the accumulation of toxic metabolites.

However, current evidence does not support classifying methanogens as pathogens or pathobionts, and there is no definitive proof that their absence or presence directly causes disease. 48 It seems more likely that methanogens may influence health via their interactions with bacteria and their role in stabilizing the microbiome. 48

Due to this relationship between bacteria and methanogens, a potential role for methanogens as probiotics has been suggested.48

Small Intestinal Bacterial Overgrowth and Intestinal Methanogen Overgrowth: Are They Overdiagnosed? Anokhi S Kholwadwala et al.

Figure 2. Syntropic relationships between bacteria and methanogens

Factors promoting the activity of methanogens: + proximity to syntrophic bacteria + substrate availability

Gut Bacteria

Hydrolysis Fermentation Acetogenesis

Methanogenic archaea

Factors inhibiting the activity of methanogens - O2 - bile acids

Suppress Bacteria Methanogens

Methanogens rely on bacteria to produce metabolites which methanogens utilize; by utilizing these metabolites methanogens prevent the accumulation of these same metabolites which can become toxic in high concentrations.

Methane and Constipation

In clinical medicine, much of the interest around methane and methanogens relates to a proposed role for methane in the pathogenesis of constipation. One of the first studies to describe an association between methane and bowel function was a report of an association between elevated levels of methane in the breath and encopresis (but not constipation) in children, with methane being present in the breath samples of 15% of the control children and 65% of encopretic children.49

Lipids
Proteins
Polysaccharides

Small Intestinal Bacterial Overgrowth and Intestinal Methanogen Overgrowth: Are They Overdiagnosed? Anokhi S Kholwadwala et al.

Subsequently, a study of 551 subjects, 296 of whom had IBS, found that the severity of constipation symptoms (evaluated via a questionnaire) correlate with methane excretion on a lactulose breath test.50 Additionally, a study of 87 IBS patients found that greater methane production on a lactulose breath test correlated with increased constipation severity, fewer bowel movements per day, and harder stool.51

Recently, a systematic review and meta-analysis of 19 studies, encompassing 1,293 individuals with IMO and 3,208 controls, found that constipation occurred in 47% of IMO patients in comparison to 38% of controls. While this association held true regardless of whether glucose or lactulose was used as the substrate for the breath test or the study was prospective or retrospective, there were limitations - not every study used verified symptom questionnaires, the diagnosis for IMO was not standardized, and not all breath tests were performed according to guidelines. Importantly, there was also significant heterogeneity between studies.

52

These findings beg the question: Is methane the cause of constipation or a mere consequence?

Impacts of methane on intestinal function

There are limited data on the impact of methane on intestinal motility or secretion, which are pivotal factors to the pathogenesis of constipation. One study evaluated the impact of methane infused into the small intestine of dogs on intestinal transit time; compared to an infusion of room air, methane slowed small intestinal transit by 59%. 53 In other components of this work, exposure of guinea pig ileum to methane gas increased contractile activity, and a retrospective review noted that methane-producing IBS subjects had a higher small bowel motility index (as measured by small bowel manometry) than those who produced hydrogen. To explain the seemingly contradictory results from the dog experiments and the guinea pig and human studies, the authors suggested that methane promoted non-propulsive contractions and thereby impaired transit. 53

Previously, Jahng and colleagues noted that methane delayed ileal peristaltic conduction velocity by augmenting contractility in guinea pigs. 54 Hydrogen shortened colonic transit, and that effect was more prominent in the proximal colon than the distal colon. While these studies demonstrate an effect of methane on small intestinal motility, it is unlikely that such an effect contributes to constipation given the modest

contribution of small intestinal transit time to the time it takes to transit from the mouth to the anus.

A small number of studies have examined relationships between constipation and gastrointestinal transit in humans. In one study, 96 patients with chronic constipation and 106 control subjects underwent measurements of colonic transit time using the radio-opaque marker technique and glucose breath tests to define IMO. Patients with chronic constipation were more likely to be methane producers, and within this group, those with slower transit times were more likely to exhale methane. A methane concentration of ≥ 3 ppm was present in breath testing of 75% of constipated patients with slow transit time, 44% of constipated patients with normal transit time, and 28% of non-constipated controls.55

Talamantes and colleagues compared breath test results (using either lactulose or glucose as substrate), transit times and intraluminal pH values (measured by a wireless motility capsule) along the gastrointestinal tract among 196 subjects. They found that colonic transit time (CTT) was significantly longer in patients with breath tests that were positive on hydrogen and/ or methane criteria (40 h : 29 min) compared to those with negative breath tests (28 h:51min). In those with IMO, small bowel transit time (SBTT) was somewhat delayed (5h : 15 min vs 4 hr : 32 min) and CTT prolonged (44 hr : 23 min vs 28 hr : 51 min) compared to patients with negative results. 56 This also suggests that the main effect of methane in relation to constipation relates to impacts on the colon, not the small intestine. These studies do not, of course, determine whether methane is a consequence or a cause of constipation.

Constipation as a cause of methane production

How does gut transit influence the composition of the microbiome? Many factors influence the wide inter-subject variability in transit, including host sex, age, intestinal length, and dietary considerations such as carbohydrate, fat, and fiber intake. However, it is also evident that there is a bidirectional relationship between transit time and the fecal microbiome.57 For example, longer colonic transit times alter the luminal milieu by increasing pH in the distal colon, decreasing carbohydrate availability, increasing proteolytic bacterial metabolism, and enhancing microbial conversion and reabsorption of bile acids.57 Longer transit times, including slower stool movement, more solid stool, and altered bile acid concentrations, create an environment favorable for methanogen proliferation.57

Small Intestinal Bacterial Overgrowth and Intestinal Methanogen Overgrowth: Are They Overdiagnosed? Anokhi S Kholwadwala et al.

The effects of transit on the microbiome were demonstrated in studies using the 3-stage Environmental Control System for Intestinal Microbiota (3S-ECSIM) in vitro system. Prolonging transit times from 48 hours to 96 hours promoted a bloom of Clostridium cluster XIV and potentially favorable conditions for the growth of methanogens, although archaea were not enumerated in this study.58

Similar effects have been demonstrated in humans; when transit was pharmacologically delayed by loperamide, methanogen counts in fecal samples increased, and concentrations of methane in the breath were higher. In contrast, the prokinetic agent cisapride was shown to decrease methanogen counts.59

Intestinal Methanogen Overgrowth (IMO) – diagnostic issues

Relationships between breath methane levels and methanogen populations are complex. For example, it has been shown that the absence of methane on breath test should not be interpreted as reflecting an absence of methanogens in the GI tract; indeed, Methanobrevibacter smithii has been detected in the stool of those with positive and negative lactulose breath tests.60 Moreover, a population density of at least 4.2 × 105 copies per gram of stool, or 1.2% of total gut bacteria, is needed to produce a breath test positive for methane.60 Aditionally, Di Stefano and colleagues found that the correlation between rectal and breath levels of methane was poor.61

Various criteria for breath test positivity in relation to methane have been proposed, contributing to uncertainty regarding the percentage of the population that are methane producers 39 and, in the clinical arena, on the diagnosis of what is referred to as IMO. The North American Consensus recommended that a breath methane level of ≥ 10 ppm above baseline at any time after substrate (either lactulose or glucose) ingestion was indicative of small intestinal methanogen overgrowth. 29 The clinical relevance of this threshold will ultimately be validated by its ability to guide successful therapy.

Do interventions that suppress methanogens have a clinical impact?

To date, unfortunately, there have been few highquality trials of any intervention targeting methanogens or methane production. Some data exist regarding the use of dietary interventions to modulate methanogen populations. One retrospective review assessed the

impact of an elemental diet on 93 patients with IBS. After 21 days on this diet, 85% had normalized their lactulose breath tests and symptoms such as diarrhea and constipation had improved in parallel. 62 Similar effects were reported in a case study. 63 Additionally, a response to a low-FODMAP diet has been linked to higher levels of fecal methanogens at baseline. 64 Whether this diet reduces methanogen populations or breath hydrogen levels has not been established.

In relation to treatment, some antibiotics have been shown to be effective against methanogens in both in vitro sensitivity testing and in vivo studies. 65 In vitro , M. smithii strains displayed strong resistance to ampicillin, streptomycin, gentamicin, rifampicin, ofloxacin, tetracycline, amphotericin B, and vancomycin, moderate resistance to chloramphenicol, and susceptibility to bacitracin, metronidazole, ornidazole, and squalamine. 65 Due to differences in bacterial, fungal and archaeal structure, methanogens were resistant to agents that target bacterial cell walls (ampicillin, vancomycin) or ergosterol in fungal cell membranes (amphotericin B). Additionally, because archaeal RNA polymerases are more related to eukaryotic RNA polymerases than bacterial, methanogens are resistant to rifampicin which inhibits bacterial RNA polymerase. The resistance to ofloxacin can be explained via a weaker drug interaction with the archaeal equivalent of DNA gyrase, as well as efflux pumps encoded by methanogens. Finally, methanogens possess genes that make them resistant to chloramphenicol, streptomycin, and gentamicin. As for the antimicrobials effective against methanogens, metronidazole can damage methanogen DNA, bacitracin can interrupt pseudomurein in the cell walls of M. smithii , and squalamine may depolarize organisms. 65

Turning to clinical studies, a subanalysis of a double-blind randomized controlled trial focusing on patients with IBS-C and a positive methane breath test result showed that 44% of those who received neomycin experienced an improvement in constipation compared to only 5% of those administered a placebo. 66 The beneficial effects of antibiotics in addressing methanogens and improving constipation have also been demonstrated in case reports. 67 Similar benefits have been demonstrated for the probiotic Lactobacillus reuteri . 68, 69

Recently, statins have been explored as a therapeutic strategy. Statins (especially lactone statins) are taken up by Methanobrevibacter smithii , where they inhibit the biosynthesis of archaeal cell membranes by target -

Small Intestinal Bacterial Overgrowth and Intestinal Methanogen Overgrowth: Are They Overdiagnosed? Anokhi S Kholwadwala et al.

ing HMG-CoA reductase. An advantage of statins over antibiotics is that statins only target archaea, leaving bacterial communities untouched. 70 One in vitro study verified this effect, and showed that increasing doses of lovastatin resulted in lower methanogen growth and methane production. 71

Methanogens in the Small Intestine

When comparing the environments of the small intestine and the large intestine, factors such as flow rate, bile acid concentration, and oxygen tension are important considerations for the survival and proliferation of methanogens.

The colon can support obligate anaerobic bacteria and methanogens due to its high microbial density, the availability of carbohydrates that humans cannot digest, low oxygen tension, and low concentrations of primary bile acids. 72 In contrast, the small intestine has an overall low microbial density due to high flow rate and secretion of bile acids. 73 Additionally, host absorption of easily digestible carbohydrates in the proximal small intestine will limit access for microbes to these resources. 74 Oxygen tension along the gut is one of the most important factors determining the survival and growth of obligate anaerobes such as methanogens. In the GI tract, both longitudinal (along the length of the intestine from mouth to anus) and transversal (from lumen to mucosa) oxygen gradients are evident. However, reported values for these gradients vary widely depending on the measurement method, sampling location (luminal vs. juxtamucosal), and species studied. 75 A longitudinal gradient from 58 mmHg in the stomach to 32 mmHg in the duodenum and 3 mmHg in the sigmoid colon was demonstrated in mice using spectral-spatial electron paramagnetic resonance (EPR) imaging to measure luminal pO 2 76 In terms of a radial gradient, EPR oximetry in rats showed that oxygen tension in the small intestine is highest in the intestinal wall (~54.5 mm Hg) and lowest in the lumen (~9.6 mm Hg). 77 Again, reported values vary widely, but regardless of the exact numbers, a radial gradient is well supported. 78-80 This potentially creates areas in the small intestine where methanogens could survive. 81 Nonetheless, given the much less hospitable environment of the small intestine, can methanogens even exist there?

The limited available data on methanogens in the small intestine does not provide a clear answer. An analysis of gas composition in various sections of the GI tract in slaughtered pigs failed to detect methane in

the stomach or small intestine, and detected minimal levels in the proximal colon and cecum and higher levels in the distal colon. 82 In contrast, very recent studies by Villanueva-Millan and colleagues support the possibility that methanogens are present in the proximal small intestine. Using shotgun metagenomics, they detected methanogens and hydrogen sulfide-producing bacteria in the human duodenum. They also correlated their presence with the detection of methane and hydrogen sulfide, respectively, in the breath. 81 These findings are suggestive, but not conclusive, as methanogen viability was not defined. In the absence of such evidence, it is possible that non-viable methanogens passaging through from the oropharynx were being detected.

Difficulties in Studying the Small Intestine – How New Technologies May Move Us Forward

Challenges with access, in particular, and with retrieving representative microbiome samples have limited our ability to study the small intestine and our understanding of the human small intestinal microbiome in health or disease. 83

Due to these difficulties, various systems have been developed in an attempt to model the human small intestine. In vitro options have included the Simulator of the Human Intestinal Microbial Ecosystem (SHIME) model 84 and TNO (Toegepast Natuurwetenschappelijk Onderzoek, Netherlands Organization for Applied Scientific Research) Intestinal Model (TIM). 85 While these systems can simulate luminal conditions in the small intestine, there are limitations, including the absence of an epithelial or mucosal layer, a microbiome that may not be representative of the complete small intestinal microbiome, and the near impossibility of recreating the complexities of intestinal motor activity. Additionally, validation is challenging, as the human small intestine cannot be readily examined for comparison. 83

In vivo , pigs are the best animal model to represent human small intestinal physiology. Like humans, pigs are omnivores and share comparable dietary needs. Their gastrointestinal systems exhibit similar gene regulation, transit times, structural features, nutrient absorption processes, and a gut microbiota predominantly composed of Firmicutes and Bacteroidetes . Additionally, the mucosal barrier in pigs closely resembles that in humans, contributing to shared vulnerability to certain pathogens. The relevance of human-microbiota-associated (HMA) gnotobiotic pigs, which are col -

Small Intestinal Bacterial Overgrowth and Intestinal Methanogen Overgrowth: Are They Overdiagnosed? Anokhi S Kholwadwala et

onized with human gut microbes, for studying human gastrointestinal health, is further enhanced. 86 In fact, these HMA pigs have been commonly used to study probiotics, prebiotics, and immune responses. 87

Until recently, samples from human subjects have been derived exclusively from the most proximal and distal reaches of the small intestine. The challenges of duodenal and proximal jejunal sampling have already been discussed. At the other end of the small intestine, samples have been obtained from the distal regions using various methods, including naso-intestinal tubes, 88 colonoscopic intubation of the distal ileum to obtain biopsies or aspirates, 89 and collection of effluent from patients with ileostomies. 90 All of these approaches have limitations.

Innovations in capsule technology may soon permit sampling along the length of the small intestine. On the one hand, capsules have been developed that can provide “live” readouts of luminal gas concentrations as the capsule transits the gastrointestinal tract, 91-94 thus providing insights into one aspect of microbial metabolism. On the other hand, systems are already available that can sample intraluminal contents at pre-defined locations along the small intestine and colon. 95 These capsules incorporate a collection bladder and a one-way valve that allows for sample collection (400 µl of luminal contents) after opening in an environment with a certain pH. 95 These capsules were used in a study of 15 healthy individuals who each ingested 4 capsules designed to dissolve at a specific location along the intestinal tract. Simultaneous sampling of stool and saliva revealed the inadequacies of stool and saliva samples in reflecting the small intestinal microbiome. A longitudinal gradient of microbiota and metabolites was evident, and distinct microbial communities and metabolic profiles were noted in different gut regions. As expected, bile acid profiles varied along the gut and correlated with the presence of specific microbial populations. 95 Further refinements in capsule technology may soon provide a comprehensive description of the human small intestinal microbiome and metabolome and provide the basis for studies in disease states with an accompanying revision of the definitions of SIBO and IMO.

Conclusions

SIBO has witnessed a dramatic shift in its scope in recent years, evolving from a relatively uncommon cause of malabsorption and maldigestion among individuals with a surgically modified or diseased intestine,

to being implicated in the pathogenesis of common chronic digestive and systemic complaints. Along the way, technical advances have permitted the sampling of not just hydrogen but also methane and hydrogen sulfide in the breath, leading to the introduction of new concepts such as IMO. The use of lactulose as the substrate for hydrogen breath tests generated a high rate of false positive tests, leading some to suggest that it should be abandoned as a test for SIBO or IMO. Glucose breath tests are more reliable but also susceptible to some artifact. Meanwhile, the development of catheters that reduce the likelihood of contamination from oropharyngeal or gastric microbes and protect anaerobes have regenerated enthusiasm for aspiration of small intestinal contents. This approach will prosper in research but it is unlikely to enter routine medical practice. Novel capsule technologies promise to provide non-invasive yet detailed analyses of the small intestinal microbiome and metabolome. A review of the biology of methane production and the physiological effects of methane in the gastrointestinal tract reveals considerable complexity and some uncertainty. Whether methane is generated to a physiologically relevant extent in the small intestine is unclear and the relationship between methane and constipation (whether it is a cause or a consequence) continues to be debated.

Intellectual property. The authors declare that the data presented in the manuscript are original and were carried out at their belonging institutions.

Funding. Supported, in part, by the Josephine Hughes Sterling Foundation and the Lynda K and David M Underwood Center for Digestive Health.

Conflict of interest. EMMQ is a consultant to Atmo Biosciences.

Copyright © 2025 Acta Gastroenterológica latinoamericana. This is an openaccess article released under the terms of the Creative Commons Attribution (CC BY-NCSA 4.0) license, which allows non-commercial use, distribution, and reproduction, provided the original author and source are acknowledged

Small Intestinal Bacterial Overgrowth and Intestinal Methanogen Overgrowth: Are They Overdiagnosed? Anokhi S Kholwadwala et al.

Cite this article as: Kholwadwala A S and Quigley E M M. Small Intestinal Bacterial Overgrowth and Intestinal Methanogen Overgrowth: Are they Overdiagnosed?. Acta Gastroenterol Latinoam. 2025;55(4):276-291. https://doi. org/10.52787/agl.v55i4.570

References

1. Chen TS, Chen PS. Intestinal autointoxication: a medical leitmotif. J Clin Gastroenterol. 1989;11:434-41.

2. Card WI. Blind loop syndrome. Proc R Soc Med. 1959;52: 28-31.

3. Barker WH, Hummel LE. Macrocytic anemia in association with intestinal strictures and anastomosis – review of the literature and report of two new cases. Bull Johns Hopkins Hosp. 1939;64:215-56.

4. Gracey M. Intestinal absorption in the “contaminated small-bowel syndrome”. Gut. 1971;12:403-10.

5. Sherlock S, Summerskill WH, White LP, Phear EA. Portal-systemic encephalopathy; neurological complications of liver disease. Lancet. 1954;267:454-7.

6. Bushyhead D, Quigley EMM. Small Intestinal Bacterial Overgrowth-Pathophysiology and Its Implications for Definition and Management. Gastroenterology. 2022;163:593-607.

7. Quigley EM. Small intestinal bacterial overgrowth: from malabsorption to misinterpretation. Minerva Gastroenterol (Torino). 2025;71:65-73.

8. Tabaqchali S, Okubadejo OA, Neale G, Booth CC. Influence of abnormal bacterial flora on small intestinal function. Proc R Soc Med. 1966;59:1244-6.

9. King CE, Toskes PP, Guilarte TR, Lorenz E, Welkos SL. Comparison of the one-gram d-[14C]xylose breath test to the [14C] bile acid breath test in patients with small-intestine bacterial overgrowth. Dig Dis Sci. 1980;25:53-8.

10. Bond JH, Levitt MD, Prentiss R. Investigation of small bowel transit time in man utilizing pulmonary hydrogen (H2) measurements. J Lab Clin Med. 1975;85:546-55.

11. Pimentel M, Chow EJ, Lin HC. Eradication of small intestinal bacterial overgrowth reduces symptoms of irritable bowel syndrome. Am J Gastroenterol. 2000;95:3503-6.

12. Pimentel M, Chow EJ, Lin HC. Normalization of lactulose breath testing correlates with symptom improvement in irritable bowel syndrome. a double-blind, randomized, placebo-controlled study. Am J Gastroenterol. 2003;98:412-9.

13. Pimentel M, Lembo A, Chey WD, Zakko S, Ringel Y, Yu J, et al. Rifaximin therapy for patients with irritable bowel syndrome without constipation. N Engl J Med. 2011;364:22-32.

14. Rezaie A, Heimanson Z, McCallum R, Pimentel M. Lactulose Breath Testing as a Predictor of Response to Rifaximin in Patients With Irritable Bowel Syndrome With Diarrhea. Am J Gastroenterol. 2019;114:1886-93.

15. Yu D, Cheeseman F, Vanner S. Combined oro-caecal scintigraphy and lactulose hydrogen breath testing demonstrate that breath testing detects oro-caecal transit, not small intestinal bacterial overgrowth in patients with IBS. Gut. 2011; 60:334-40.

16. Ford AC, Spiegel BMR, Talley NJ, Moayyedi P. Small intestinal bacterial overgrowth in irritable bowel syndrome: systematic review and meta-analysis. Clin Gastroenterol Hepatol. 2009;7:1279-86.

17. Shah A, Talley NJ, Jones M, Kendall BJ, Koloski N, Walker MM, et al. Small Intestinal Bacterial Overgrowth in Irritable Bowel Syndrome: A Systematic Review and Meta-Analysis of Case-Control Studies. Am J Gastroenterol. 2020;115: 190-201.

18. Kashyap P, Moayyedi P, Quigley EMM, Simren M, Vanner S. Critical appraisal of the SIBO hypothesis and breath testing: A clinical practice update endorsed by the European society of neurogastroenterology and motility (ESNM) and the American neurogastroenterology and motility society (ANMS). Neurogastroenterol Motil. 2024;36:e14817.

19. Lin EC, Massey BT. Scintigraphy Demonstrates High Rate of False-positive Results From Glucose Breath Tests for Small Bowel Bacterial Overgrowth. Clin Gastroenterol Hepatol. 2016; 14:203-8.

20. Shanahan ER, Zhong L, Talley NJ, Morrison M, Holtmann G. Characterisation of the gastrointestinal mucosa-associated microbiota: a novel technique to prevent cross-contamination during endoscopic procedures. Aliment Pharmacol Ther. 2016;43: 1186-96.

21. Karunaratne TB, Sharma A, Rao SSC. Small-bowel aspiration during upper esophagogastroduodenoscopy: Rao technique. VideoGIE. 2021;6:152-4.

22. Li J, Zhang R, Ma J, Tang S, Li Y, Li Y, et al. Mucosa-Associated Microbial Profile Is Altered in Small Intestinal Bacterial Overgrowth. Front Microbiol. 2021;12:710940.

23. Shin AS, Gao X, Bohm M, Lin H, Gupta A, Nelson DE, et al. Characterization of Proximal Small Intestinal Microbiota in Patients With Suspected Small Intestinal Bacterial Overgrowth: A Cross-Sectional Study. Clin Transl Gastroenterol. 2019;10:e00073.

24. Saffouri GB, Shields-Cutler RR, Chen J, Yang Y, Lekatz HR, Hale VL, et al. Small intestinal microbial dysbiosis underlies symptoms associated with functional gastrointestinal disorders. Nat Commun. 2019;10:2012.

25. Leite G, Morales W, Weitsman S, Celly S, Parodi G, Mathur R, et al. The duodenal microbiome is altered in small intestinal bacterial overgrowth. PLoS One. 2020;15:e0234906.

26. Barlow JT, Leite G, Romano AE, Sedighi R, Chang C, Celly S, et al. Quantitative sequencing clarifies the role of disruptor taxa, oral microbiota, and strict anaerobes in the human small-intestine microbiome. Microbiome. 2021;9:214.

27. Bamba S, Imai T, Sasaki M, Ohno M, Yoshida S, Nishida A, et al. Altered gut microbiota in patients with small intestinal bacterial overgrowth. J Gastroenterol Hepatol. 2023; 38:61-9.

28. Leite G, Rezaie A, Mathur R, Barlow GM, Rashid M, Hosseini A, et al. Defining Small Intestinal Bacterial Overgrowth by Culture and High Throughput Sequencing. Clin Gastroenterol Hepatol. 2024;22:259-70.

29. Rezaie A, Buresi M, Lembo A, Lin H, McCallum R, Rao S, et al. Hydrogen and Methane-Based Breath Testing in Gastrointestinal Disorders: The North American Consensus. The American Journal of Gastroenterology. 2017;112:775.

Gastroenterol Latinoam 2025;55(4):276-291

Small Intestinal Bacterial Overgrowth and Intestinal Methanogen Overgrowth: Are They Overdiagnosed? Anokhi S Kholwadwala et al.

30. Read NW, Miles CA, Fisher D, Holgate AM, Kime ND, Mitchell MA, et al. Transit of a meal through the stomach, small intestine, and colon in normal subjects and its role in the pathogenesis of diarrhea. Gastroenterology. 1980;79:1276-82.

31. Jiménez-Castillo RA, Félix-Téllez FA, Vargas-Basurto JL, Noriega-García NB, Suárez-Fernández M, García-Zermeño KR, et al. Diagnostic Reliability of Glucose and Lactulose Breath Tests: Insights From a Test-Retest Study in Healthy Adults. Neurogastroenterol Motil. 2025;e70089.

32. Takakura W, Rezaie A, Chey WD, Wang J, Pimentel M. Symptomatic Response to Antibiotics in Patients With Small Intestinal Bacterial Overgrowth: A Systematic Review and Meta-analysis. J Neurogastroenterol Motil. 2024;30:7-16.

33. Lauritano EC, Gabrielli M, Scarpellini E, Lupascu A, Novi M, Sottili S, et al. Small intestinal bacterial overgrowth recurrence after antibiotic therapy. Am J Gastroenterol. 2008;103: 2031-5.

34. Lembo A, Pimentel M, Rao SS, Schoenfeld P, Cash B, Weinstock LB, et al. Repeat Treatment With Rifaximin Is Safe and Effective in Patients With Diarrhea-Predominant Irritable Bowel Syndrome. Gastroenterology. 2016;151:1113-21.

35. DuPont HL. The potential for development of clinically relevant microbial resistance to rifaximin-α: a narrative review. Clin Microbiol Rev. 2023;36:e00039-23.

36. Turner AM, Li L, Monk IR, Lee JYH, Ingle DJ, Portelli S, et al. Rifaximin prophylaxis causes resistance to the last-resort antibiotic daptomycin. Nature. 2024 Nov;635:969-77.

37. Boll L, Kern WV, Schuster S, Schultheiß M, Schneider C, Vavra M, et al. Frequent high-level rifaximin resistance in Escherichia coli associated with long-term treatment of patients with liver cirrhosis: a prospective, controlled study. Microbiol Spectr. 2025;13:e0334724.

38. Pimentel M, Gunsalus RP, Rao SSC, Zhang H. Methanogens in Human Health and Disease. The American Journal of Gastroenterology Supplements. 2012;1:28-33.

39. Triantafyllou K, Chang C, Pimentel M. Methanogens, Methane and Gastrointestinal Motility. J Neurogastroenterol Motil. 2014;20:31-40.

40. Levitt MD, Furne JK, Kuskowski M, Ruddy J. Stability of Human Methanogenic Flora Over 35 Years and a Review of Insights Obtained From Breath Methane Measurements. Clinical Gastroenterology and Hepatology. 2006;4:123-9.

41. Florin THJ, Zhu G, Kirk KM, Martin NG. Shared and unique environmental factors determine the ecology of methanogens in humans and rats. The American Journal of Gastroenterology. 2000;95:2872-9.

42. Kumpitsch C, Fischmeister FPhS, Mahnert A, Lackner S, Wilding M, Sturm C, et al. Reduced B12 uptake and increased gastrointestinal formate are associated with archaeome-mediated breath methane emission in humans. Microbiome. 2021;9:193.

43. Hansen EE, Lozupone CA, Rey FE, Wu M, Guruge JL, Narra A, et al. Pan-genome of the dominant human gut-associated archaeon, Methanobrevibacter smithii, studied in twins. Proc Natl Acad Sci U S A. 2011;108(Suppl 1):4599-606.

44. Hoegenauer C, Hammer HF, Mahnert A, Moissl-Eichinger C. Methanogenic archaea in the human gastrointestinal tract. Nat Rev Gastroenterol Hepatol. 2022;19:805-13.

45. Min YW, Rezaie A, Pimentel M. Bile Acid and Gut Microbiota in Irritable Bowel Syndrome. J Neurogastroenterol Motil. 2022;28:549-61.

46. An C, Chon H, Ku W, Eom S, Seok M, Kim S, et al. Bile Acids: Major Regulator of the Gut Microbiome. Microorganisms. 2022;10:1792.

47. Florin TH, Jabbar IA. A possible role for bile acid in the control of methanogenesis and the accumulation of hydrogen gas in the human colon. J Gastroenterol Hepatol. 1994;9:112-7.

48. Djemai K, Drancourt M, Tidjani Alou M. Bacteria and Methanogens in the Human Microbiome: a Review of Syntrophic Interactions. Microb Ecol. 2022;83:536-54.

49. Fiedorek SC, Pumphrey CL, Casteel HB. Breath methane production in children with constipation and encopresis. J Pediatr Gastroenterol Nutr. 1990;10:473-7.

50. Pimentel M, Mayer AG, Park S, Chow EJ, Hasan A, Kong Y. Methane production during lactulose breath test is associated with gastrointestinal disease presentation. Dig Dis Sci. 2003; 48:86-92.

51. Chatterjee S, Park S, Low K, Kong Y, Pimentel M. The Degree of Breath Methane Production in IBS Correlates With the Severity of Constipation. Official journal of the American College of Gastroenterology | ACG. 2007;102:837.

52. Mehravar S, Takakura W, Wang J, Pimentel M, Nasser J, Rezaie A. Symptom Profile of Patients With Intestinal Methanogen Overgrowth: A Systematic Review and Meta-analysis. Clinical Gastroenterology and Hepatology. 2025;23:11111122.e9.

53. Pimentel M, Lin HC, Enayati P, van den Burg B, Lee HR, Chen JH, et al. Methane, a gas produced by enteric bacteria, slows intestinal transit and augments small intestinal contractile activity. American Journal of Physiology-Gastrointestinal and Liver Physiology. 2006;290:G1089-95.

54. Jahng J, Jung IS, Choi EJ, Conklin JL, Park H. The effects of methane and hydrogen gases produced by enteric bacteria on ileal motility and colonic transit time. Neurogastroenterology & Motility. 2012;24:185-e92.

55. Attaluri A, Jackson M, Valestin J, Rao SS. Methanogenic Flora Is Associated With Altered Colonic Transit but Not Stool Cha racteristics in Constipation Without IBS. Official journal of the American College of Gastroenterology | ACG. 2010; 105:1407.

56. Talamantes S, Steiner F, Spencer S, Neshatian L, Sonu I. Intestinal Methanogen Overgrowth (IMO) Is Associated with Delayed Small Bowel and Colonic Transit Time (TT) on the Wireless Motility Capsule (WMC). Dig Dis Sci. 2024; 69:3361-8.

57. Procházková N, Falony G, Dragsted LO, Licht TR, Raes J, Roa ger HM. Advancing human gut microbiota research by considering gut transit time. Gut. 2023 Jan;72:180-91.

58. Tottey W, Feria-Gervasio D, Gaci N, Laillet B, Pujos E, Martin JF, et al. Colonic Transit Time Is a Driven Force of the Gut Microbiota Composition and Metabolism: In Vitro Evidence. J Neurogastroenterol Motil. 2017;23:124-34.

59. El Oufir L, Flourié B, Bruley des Varannes S, Barry JL, Cloarec D, Bornet F, et al. Relations between transit time, fermentation products, and hydrogen consuming flora in healthy humans. Gut. 1996;38:870-7.

Small Intestinal Bacterial Overgrowth and Intestinal Methanogen Overgrowth: Are They Overdiagnosed? Anokhi S Kholwadwala et al.

60. Kim G, Deepinder F, Morales W, Hwang L, Weitsman S, Chang C, et al. Methanobrevibacter smithii Is the Predominant Methanogen in Patients with Constipation-Predominant IBS and Methane on Breath. Dig Dis Sci. 2012;57:3213-8.

61. Di Stefano M, Mengoli C, Bergonzi M, Klersy C, Pagani E, Miceli E, et al. Breath Methane Excretion Is not An Accurate Marker of Colonic Methane Production in Irritable Bowel Syndrome. Official journal of the American College of Gastroenterology | ACG. 2015;110:891.

62. Pimentel M, Constantino T, Kong Y, Bajwa M, Rezaei A, Park S. A 14-Day Elemental Diet Is Highly Effective in Normalizing the Lactulose Breath Test. Dig Dis Sci. 2004;49:73-7.

63. O’Dwyer D. Homemade Elemental Diet to Treat Intestinal Methanogen Overgrowth: A Case Report. Integr Med (Encinitas). 2021;20:32–41.

64. Eetemadi A, Tagkopoulos I. Methane and fatty acid metabolism pathways are predictive of Low-FODMAP diet efficacy for patients with irritable bowel syndrome. Clin Nutr. 2021;40: 4414-21.

65. Dridi B, Fardeau ML, Ollivier B, Raoult D, Drancourt M. The antimicrobial resistance pattern of cultured human methanogens reflects the unique phylogenetic position of archaea. J Antimicrob Chemother. 2011;66:2038-44.

66. Pimentel M, Chatterjee S, Chow EJ, Park S, Kong Y. Neomycin Improves Constipation-Predominant Irritable Bowel Syndrome in a Fashion That Is Dependent on the Presence of Methane Gas: Subanalysis of a Double-Blind Randomized Controlled Study. Dig Dis Sci. 2006;51:1297-301.

67. Ghoshal UC, Srivastava D, Verma A, Misra A. Slow Transit Constipation Associated With Excess Methane Production and Its Improvement Following Rifaximin Therapy: A Case Report. J Neurogastroenterol Motil. 2011;17:185-8.

68. Ojetti V, Ianiro G, Tortora A, D’Angelo G, Di Rienzo TA, Bibbò S, et al. The effect of Lactobacillus reuteri supplementation in adults with chronic functional constipation: a randomized, double-blind, placebo-controlled trial. J Gastrointestin Liver Dis. 2014;23:387-91.

69. Ojetti V, Petruzziello C, Migneco A, Gnarra M, Gasbarrini A, Franceschi F. Effect of Lactobacillus reuteri (DSM 17938) on methane production in patients affected by functional constipation: a retrospective study. Eur Rev Med Pharmacol Sci. 2017;21.

70. Gottlieb K, Wacher V, Sliman J, Pimentel M. Review article: inhibition of methanogenic archaea by statins as a targeted management strategy for constipation and related disorders. Alimentary Pharmacology & Therapeutics. 2016;43:197-212.

71. Demonfort Nkamga V, Armstrong N, Drancourt M. In vitro susceptibility of cultured human methanogens to lovastatin. International Journal of Antimicrobial Agents. 2017;49:176-82.

72. Scheithauer TPM, Dallinga-Thie GM, De Vos WM, Nieuwdorp M, Van Raalte DH. Causality of small and large intestinal microbiota in weight regulation and insulin resistance. Molecular Metabolism. 2016;5:759-70.

73. Kuang J, Zheng X, Jia W. Investigating regional-specific gut microbial distribution: an uncharted territory in disease therapeutics. protein cell. 2025;16:623-40.

74. Booijink CCGM, Zoetendal EG, Kleerebezem M, de Vos WM. Microbial communities in the human small intestine: coupling diversity to metagenomics. Future Microbiol. 2007;2:285-95.

75. Zheng L, Kelly CJ, Colgan SP. Physiologic hypoxia and oxygen homeostasis in the healthy intestine. A Review in the Theme: Cellular Responses to Hypoxia. Am J Physiol Cell Physiol. 2015;309: C350-60.

76. He G, Shankar RA, Chzhan M, Samouilov A, Kuppusamy P, Zweier JL. Noninvasive measurement of anatomic structure and intraluminal oxygenation in the gastrointestinal tract of living mice with spatial and spectral EPR imaging. Proceedings of the National Academy of Sciences. 1999;96:4586-91.

77. Fisher EM, Khan M, Salisbury R, Kuppusamy P. Noninvasive monitoring of small intestinal oxygen in a rat model of chronic mesenteric ischemia. Cell Biochem Biophys. 2013;67:10.1007/ s12013-013-9611-y.

78. Konjar Š, Pavšič M, Veldhoen M. Regulation of Oxygen Homeostasis at the Intestinal Epithelial Barrier Site. Int J Mol Sci. 2021;22:9170.

79. Albenberg L, Esipova TV, Judge CP, Bittinger K, Chen J, Laughlin A, et al. Correlation Between Intraluminal Oxygen Gradient and Radial Partitioning of Intestinal Microbiota. Gastroenterology. 2014;147:1055-1063.e8.

80. Singhal R, Shah YM. Oxygen battle in the gut: Hypoxia and hypoxia-inducible factors in metabolic and inflammatory responses in the intestine. J Biol Chem. 2020;295:10493-505.

81. Villanueva-Millan MJ, Leite G, Mathur R, Rezaie A, Fajardo CM, de Freitas Germano J, et al. Hydrogen Sulfide and Methane on Breath Test Correlate with Human Small Intestinal Hydrogen Sulfide Producers and Methanogens. Dig Dis Sci. 2025 [epub ahead of print].

82. Jensen BB, Jørgensen H. Effect of dietary fiber on microbial activity and microbial gas production in various regions of the gastrointestinal tract of pigs. Applied and Environmental Microbiology. 1994;60:1897-904.

83. Yilmaz B, Macpherson AJ. Delving the depths of “terra incognita” in the human intestine - the small intestinal microbiota. Nat Rev Gastroenterol Hepatol. 2025;22:71-81.

84. Zhu W, Zhang X, Wang D, Yao Q, Ma GL, Fan X. Simulator of the Human Intestinal Microbial Ecosystem (SHIME®): Current Developments, Applications, and Future Prospects. Pharmaceuticals (Basel). 2024;17:1639.

85. Venema K, van den Abbeele P. Experimental models of the gut microbiome. Best Pract Res Clin Gastroenterol. 2013;27: 115-26.

86. Rossi R, Mainardi E. Prebiotics and Probiotics Supplementation in Pigs as a Model for Human Gut Health and Disease. Biomolecules. 2025;15:665.

87. Wang M, Donovan SM. Human Microbiota-Associated Swine: Current Progress and Future Opportunities. ILAR Journal. 2015;56:63-73.

88. van Trijp MP, Wilms E, Ríos-Morales M, Masclee AA, Brummer RJ, Witteman BJ, et al. Using naso- and oro-intestinal catheters in physiological research for intestinal delivery and sampling in vivo: practical and technical aspects to be considered. The American Journal of Clinical Nutrition. 2021;114:843-61.

89. Marquez-Ortiz RA, Leon M, Abril D, Escobar-Perez J, Florez-Sarmiento C, Parra-Izquierdo V, et al. Colonoscopy aspiration lavages for mucosal metataxonomic profiling of spondylarthritis-associated gastrointestinal tract alterations. Sci Rep. 2023;13:7015.

Latinoam 2025;55(4):276-291

Small Intestinal Bacterial Overgrowth and Intestinal Methanogen Overgrowth: Are They Overdiagnosed? Anokhi S Kholwadwala et al.

90. Zoetendal EG, Raes J, van den Bogert B, Arumugam M, Booijink CC, Troost FJ, et al. The human small intestinal microbiota is driven by rapid uptake and conversion of simple carbohydrates. ISME J. 2012;6:1415-26.

91. Nejati S, Wang J, Sedaghat S, Balog NK, Long AM, Rivera UH, et al. Smart Capsule for Targeted Proximal Colon Microbiome Sampling. Acta Biomater. 2022;154:83-96.

92. Rehan M, Al-Bahadly I, Thomas DG, Young W, Cheng LK, Avci E. Smart capsules for sensing and sampling the gut: status, challenges and prospects. Gut. 2024;73:186-202.

93. Stine JM, Ruland KL, Beardslee LA, Levy JA, Abianeh H, Botasini S, et al. Miniaturized Capsule System Toward Real-Time Electrochemical Detection of H2S in the Gastrointestinal Tract. Adv Healthc Mater. 2024;13:2302897.

94. Berean KJ, Ha N, Ou JZ, Chrimes AF, Grando D, Yao CK, et al. The safety and sensitivity of a telemetric capsule to monitor gastrointestinal hydrogen production in vivo in healthy subjects: a pilot trial comparison to concurrent breath analysis. Aliment Pharmacol Ther. 2018;48:646-54.

95. Shalon D, Culver RN, Grembi JA, Folz J, Treit PV, Shi H, et al. Profiling the human intestinal environment under physiological conditions. Nature. 2023;617:581-91.

Laryngopharyngeal Reflux: Historical Perspectives, Current Diagnostics and Therapies, and Remaining Challenges

University of California San Diego, Division of Gastroenterology. San Diego, CA, USA.

Acta Gastroenterol Latinoam 2025;55(4):292-302

Received: 06/11/2025 / Accepted: 11/12/2025 / Published online: 23/12/2025 / https://doi.org/10.52787/agl.v55i4.555

Summary

The concept of laryngopharyngeal reflux has evolved since it was first used to describe the retrograde flow of gastric contents into the upper airway leading to upper airway symptoms. Decades of cross-disciplinary research have led to our current understanding of this process, which emphasizes differentiating laryngopharyngeal reflux disease (characterized by symptoms with objective evidence of reflux) from laryngopharyngeal symptoms (which can occur with or without pathological reflux). It is essential to recognize this distinction for effective management because laryngopharyngeal reflux disease may respond to anti-reflux therapy, whereas the management of laryngopharyngeal symptoms depends on the clinical entity or entities contributing to them. This review summarizes the historical development of the laryn-

gopharyngeal reflux concept, outlines current diagnostic and therapeutic approaches for laryngopharyngeal reflux disease, and highlights ongoing challenges and opportunities for future research. We conclude that continued interdisciplinary collaboration is essential for improving both evidence-based diagnoses and effective treatment outcomes.

Keywords. Laryngopharyngeal reflux, Gastroesophageal reflux, Esophageal pH Monitoring, Laryngopharyngeal reflux disease, Diagnostic framework.

Reflujo laringofaríngeo: perspectivas históricas, diagnósticos y tratamientos actuales, y desafíos pendientes

Resumen

Correspondence: Callie Cuff

Email: ccuff@health.ucsd.edu

El concepto de reflujo laringofaríngeo ha evolucionado desde que se utilizó por primera vez para describir el flujo retrógrado del contenido gástrico hacia las vías respiratorias superiores provocando síntomas. Décadas de investigación interdisciplinaria condujeron a nuestra comprensión actual del proceso, que indica la importancia de diferenciar la enfermedad por reflujo laringofaríngeo (caracterizada por síntomas con evidencia objetiva de reflujo) de los síntomas laringofaríngeos (que pueden ocurrir con o sin reflujo patológico). Es esencial reconocer esta distinción para hacer un tratamiento eficaz, ya que la enfermedad por reflujo laringofaríngeo puede responder al tratamiento antirreflujo, mientras que

Laryngopharyngeal Reflux: Historical Perspectives, Current Diagnostics and Therapies, and Remaining Challenges Callie Cuff et al.

el tratamiento de los síntomas laringofaríngeos depende de la entidad o entidades clínicas que contribuyen a que estos ocurran. En esta revisión se resume el desarrollo histórico del concepto de reflujo laringofaríngeo, se esbozan los enfoques diagnósticos y terapéuticos actuales de la enfermedad por reflujo laringofaríngeo y se destacan los retos actuales y las oportunidades para la investigación futura. Concluimos que la colaboración interdisciplinaria continua es esencial para mejorar tanto los diagnósticos basados en la evidencia como los resultados de los tratamientos.

Palabras claves. Reflujo laringofaríngeo, reflujo gastroesofágico, monitorización del pH esofágico, enfermedad por reflujo laringofaríngeo, marco de diagnósticos.

Abbreviations

LPRD: laryngopharyngeal reflux disease.

LPS: laryngopharyngeal symptpms.

GERD: gastroesophageal reflux disease.

PPI: proton pump inhibitor.

LRT: Laryngeal Recalibration Therapy.

Introduction

Traditionally, the term laryngopharyngeal reflux (LPR) has been used to describe the retrograde flow of gastric content into the larynx and pharynx, resulting in a spectrum of upper airway symptoms. Laryngopharyngeal symptoms (LPS) include chronic cough, throat clearing, hoarseness, and postnasal drip, which can occurr without classic symptoms of heartburn or regurgitation. Symptoms in this region can arise from various sources, including airway diseases, such as asthma or allergic rhinitis, or gastrointestinal disorders, such as gastroesophageal reflux disease (GERD) or esophageal motility disorders, with contributions from neurosensory or behavioral factors. Laryngopharyngeal reflux disease (LPRD) is defined as the presence of objective evidence linking reflux to LPS, which distinguishes it from symptoms without measurable reflux events. LPS account for up to 10% of otolaryngology and gastroenterology referrals and are commonly treated with empiric proton pump inhibitor (PPI) therapy.1, 2 However, objective testing suggests that fewer than half of patients with these symptoms have confirmed reflux-related pathology.3, 4 The high rate of misattributing LPS to LPRD highlights the importance of a thorough evaluation to avoid misdiagnosis, unnecessary interventions, and prolonged symptom burden. Distin-

guishing between reflux-mediated symptoms and those arising from non-gastrointestinal etiologies is essential for guiding appropriate evaluation and treatment. However, the diversity of potential contributors has made accurate diagnosis and effective management challenging since LPR was first described. This review summarizes our current knowledge of LPRD, outlining its historical background, current diagnostic and therapeutic approaches, and highlighting the remaining gaps in clinical understanding and management. In conclusion, we emphasize the need for a unified, evidence-based framework that integrates reflux physiology, laryngeal sensory function, and interdisciplinary collaboration to improve diagnosis and treatment outcomes.

History of laryngopharyngeal reflux

In 1968, Cherry described the association between reflux and laryngeal injury with the identification of laryngeal contact ulcers and granulomas as a manifestation of acid exposure 5 (Figure 1).

Figure 1. Timeline of key milestones in the understanding of laryngopharyngeal reflux

1968: Cherr y et al. identify association between reflux and lar yngeal injur y; acid exposure leads to lar yngeal contact ulcers and granulomas.

1970s-1980s: Flexible fiberoptic lar yngoscopy and dual-probe ambulator y esophageal pH monitoring were introduced.

1996: Koufman et al. distinguishes LPR from traditional GERD.

2002: AAO-HNS recognizes LPR as a clinical entity distinct from GERD.

2000s-2020s: Research further conceptualizas LPR; remainig challenges include weak correlation between symptoms, lar yngoscopic findings, and objetive reflux testing.

2025: The San Diego Consensus differentiates LPS from LPRD.

Future: Establish diagnostic testing thresholds validate symptom and risk stratification tool, evaluate current inter ventional models with prospective studies.

Laryngopharyngeal Reflux, GERD: gastroesophageal reflux disease, AAO-HNS: American Academy of Otolaryngology-Head and Neck

LPR:
Surgery, LPS: Laryngopharyngeal Symptoms, LPRD: Laryngopharyngeal Reflux Disease.

Laryngopharyngeal Reflux: Historical Perspectives, Current Diagnostics and Therapies, and Remaining Challenges

Following the introduction of flexible fiberoptic laryngoscopy and dual-probe ambulatory esophageal pH monitoring in the 1970s and 1980s, Koufman and colleagues characterized the clinical syndrome of LPR in 1996, highlighting its distinction from classic GERD. 6 A few years later, in 2002, the American Academy of Otolaryngology-Head and Neck Surgery (AAO-HNS) formally defined LPR as a clinical entity distinct from GERD, noting that LPR often presents without typical heartburn or regurgitation. 7 In 2005, Ford published a widely cited review summarizing the evaluation and management of LPR. This review helped to establish standardized clinical approaches and guided subsequent research. 8 It characterized the typical constellation of LPS and laryngoscopic findings attributed to reflux, emphasized empiric high-dose PPI therapy as both a diagnostic and therapeutic tool, and provided an early framework for distinguishing LPR from classic GERD. Over the subsequent decades, several groups sought to further refine LPR, but gaps in our understanding persisted. These gaps included poor correlation between symptoms, laryngoscopic findings, and objective reflux testing, as well as the lack of a gold standard for diagnosis. These limitations led to the 2025 San Diego Consensus, an international interdisciplinary initiative that aimed to further develop the nosology by differentiating LPS, which may or may not arise from LPRD, defined by laryngopharyngeal symptoms with objective evidence of reflux. The San Diego Consensus offered diagnostic criteria and recommended objective testing modalities in addition to summarizing the pathophysiology of these syndromes. This review described the Consensus’ recommendations. 9

Pathophysiology and Mechanisms

LPRD arises through both direct chemical injury and complex neurosensory mechanisms. When refluxate containing acid, pepsin, and bile salts repeatedly contacts the laryngeal mucosa, it can disrupt epithelial tight junctions, impair barrier function, and trigger local inflammatory cascades, including cytokine and chemokine release. This leads to edema, erythema, and chronic laryngeal inflammation. 10, 11 Pepsin remains stable at neutral pH and can be reactivated by intermittent acid exposure, causing subclinical epithelial injury even when overt reflux is minimal. Bile salts further exacerbate mucosal damage through oxidative stress and mitochondrial dysfunction, promot -

ing ep ithelial apoptosis and tissue remodeling. 10, 11 This inflammatory environment sensitizes laryngeal sensory nerves, lowering the threshold for coughing, throat clearing, globus sensation, and other laryngopharyngeal symptoms. Chronic peripheral stimulation also primes central neural circuits, amplifying symptom perception through central sensitization. 10, 11 Beyond gastroesophageal and neurosensory mechanisms, several airway and non-gastrointestinal factors can mimic or exacerbate LPS. Chronic postnasal drip from allergic rhinitis or sinusitis, asthma-related cough reflex sensitization, and environmental irritants can trigger laryngeal inflammation or hypersensitivity. 12, 13 Similarly, vocal overuse or muscle tension dysphonia may sustain symptoms independent of reflux physiology. 14

Even when the underlying cause of reflux is addressed, LPS may persist with anti-reflux therapy, reflecting the contribution of neurogenic or behavioral factors in patients with LPRD. Vagal-mediated reflexes, heightened laryngeal sensory responses, and central sensitization can cause the larynx to become hypersensitive or hyperresponsive, leading to chronic symptoms, even when there is no acid exposure. 4, 7-10 Mechanistic studies suggest that abnormal vagal signaling and impaired baroreflex sensitivity amplify sensory input, increasing awareness of normal laryngeal sensations and promoting maladaptive throat behaviors. 8, 9 Persistent activation of laryngeal sensory pathways may sensitize central circuits, resulting in chronic, self-perpetuating symptoms. 8 Behavioral interventions such as laryngeal recalibration therapy provide evidence that targeted sensory retraining can reduce symptom burden, supporting the role of neurogenic and behavioral mechanisms. 7, 10 Similar to what has been observed in disorders of gut–brain interaction (DGBIs), emerging evidence suggests that the microbiome may influence the development or persistence of LPS. Specifically, some research suggests that altered laryngopharyngeal microbial communities and acid suppression–induced dysbiosis may contribute to local inflammation and vagal signaling, further promoting laryngeal hypersensitivity. 11-13 Together, these findings support a multifactorial model in which LPRD involves direct mucosal injury and neurogenic dysfunction. Similarly, the persistence of LPS despite investigation and treatment of non-gastrointestinal or airway causes may be due to laryngeal hypersensitivity and behavioral factors descr ibed above.

Laryngopharyngeal Reflux: Historical Perspectives, Current Diagnostics and Therapies, and Remaining Challenges Callie Cuff et al.

Clinical Presentation

Patients with LPRD may experience various aerodigestive symptoms, including chronic cough, persistent throat pain or irritation, frequent throat clearing, excess phlegm or postnasal drip sensations, and hoarseness. A globus sensation is another common complaint, though it is less frequently related to underlying reflux physiology than thepreviously described symptoms. 9 Patients may initially present with these symptoms to primary care clinicians or various specialists, such as gastroenterologists, otolaryngologists, or pulmonologists, depending on their predominant symptoms. When patients present with these complaints, providers should screen for additional red flag signs that may indicate malignancy or other serious pathology, such as hemoptysis, progressive dysphagia, odynophagia, unexplained weight loss, or a neck mass. These signs warrant urgent evaluation. 15 Outside of urgent presentations, there is significant variation in diagnostic approaches among practitioners, likely due to the absence of a gold standard for diagnosis. 16 Many patients may undergo multiple procedures and numerous specialist visits, which lead to a substantial economic and time burden. 10, 17 One study found that the mean direct cost over the first year of evaluation for suspected extraesophageal reflux is 5.6 times higher than those reported for typical GERD. 18 Over half of these expenditures are driven by prescription medications, particularly proton pump inhibitors, which may or may not be warranted as first-line therapy. Beyond the financial and time burden, patients’ quality of life may be further impacted by heightened symptom perception, symptom-related anxiety, and substantial psychosocial distress. 19

Diagnostic Evaluation

The evaluation of LPS typically follows a stepwise approach. It begins with a symptom assessment and progresses to an endoscopic evaluation, reflux testing, or empiric therapy, based on the clinical presentation and suspicion of reflux-related disease (Figure 2). The San Diego Consensus emphasized that symptoms must occur at least twice weekly and be present for over eight weeks to qualify as LPS, and highlights the need to consider non-gastrointestinal causes. Various instruments have been developed to characterize the multifaceted presentation of LPS. Patient-reported outcomes (PROs) measurements and risk stratification tools can be helpful for initial evaluations, these lack sufficient specificity to establish a definitive diagnosis. For example, the Reflux Symptom

Index (RSI) is a patient-reported measure of symptom severity; however, it lacks specificity for LPRD and is used in other reflux conditions.20 The COuGH RefluX and HAs-BEER (Heartburn, Asthma, and BMI Extraesophageal Reflux) Scores serve as risk stratification tools and offer complementary information about reflux-related susceptibility.21, 22 The Laryngeal Cognitive Assessment Tool (LCAT) explores cognitive and brain–gut contributions to symptom experience. While it is not diagnostic for LPRD, it can inform a more holistic understanding of the patient perception.23 After taking a thorough clinical history, directly visualizing the larynx is a useful next step in the evaluation process if non-gastrointestinal etiologies are suspected.

The primary role of laryngoscopy is to evaluate non-reflux-mediated processes that contribute to LPS, such as structural lesions or vocal fold pathology. “Classic” inflammatory findings, such as posterior laryngeal erythema, edema, or pseudosulcus are nonspecific and cannot confirm LPRD by themselves.9 In patients with isolated LPS (without esophageal symptoms) that are not attributable to non-gastrointestinal causes or that persist despite appropriate treatment, the focus of further evaluation should be on laryngeal hyperresponsiveness and hypervigilance before anti-reflux treatment, as well as on objective esophageal testing to evaluate for LPRD/ GERD.

If esophageal symptoms such as heartburn, regurgitation, or chest pain are also present, high-dose empiric PPI therapy can be started to evaluate the patient’s response to treatment. Dosing is typically twice daily for up to three months and this remains a common first-line strategy. Patients who improve in both esophageal symptoms and LPS following PPI initiation, likely have LPRD. An isolated esophageal symptom response to PPI therapy suggests LPS and GERD overlap. For patients with partial or no symptom response to PPI, objective reflux testing is strongly recommended. This testing is also recommended for patients with a positive symptom response to PPI therapy before therapy is escalated or invasive interventions are considered. Testing should be performed while the patient is off acid-suppressing therapy.

Direct visualization of the esophagus via esophagogastroduodenoscopy (EGD) can be used to investigate evidence of GERD, with findings of Los Angeles grades B, C, D esophagitis and/or biopsy-proven Barrett's esophagus as confirmatory. 24 Inlet patches of ectopic gastric mucosa in the esophagus may also be present and contribute to globus or irritation through

Laryngopharyngeal Reflux: Historical Perspectives, Current Diagnostics and Therapies, and Remaining Challenges

Figure 2. Diagnostic and therapeutic schema for evaluating laryngopharyngeal symptoms

Are symtoms related to non-GI causes?

Laryngoscopy: evaluates non-reflux-related etiologies. Laryngoscopy is NOT diagnostic of LPRD

Esophageal symptoms present? Heartburn, regurgitation, chest pain

Further management of non-GI condition(s)

Personalized lifestyle and empiric PPI ± alginate trial

Partial or no symptom response

Esophageal symptom + LPS response

Esophageal symptom response only Before invasive anti-reflux therapy

Likely LPRD: Continue management Likely GERD overlap. Continue management

Esophagogastroduodenoscopy (EGD)

and/or

Objective esophageal testing

Prolonged wireless pH monitoring (off acid suppression)

Consider role of laryngeal hyperresponsiveness and/ or hypervigilance

anti-reflux therapy

pH-impedance monitoring (off acid suppression)

Behavioral therapy with SLP (LRT), neuromodulation, and/or CBT

Objectively proven LRPD

Patients presenting with LPS should have non-gastrointestinal etiologies considered. Futher differentiation is based on the presence or absence of esophageal symptoms. If present, an empiric PPI ± alginate trial can be initiated (for 3 months), with symptoms response further differentiating clinical entities (LPRD, GERD + LPS overlap, other). Objective esophageal testing should only be pursued in cases of esophageal symptoms without PPI response, consideration of invasive anti-reflux therapy (i.e., surgery) in LPRD and GERD/LPS overlap, or before initiating PPI in isolated LPS. The dashed curved line is to highlight that disordered laryngeal behaviors can coexist with objective GERD/LPRD and also cause symptoms.

LPS: Laryngopharyngeal Symptoms, GI: gastrointestinal, LPRD: Laryngopharyngeal Reflux Disease, AET: Acid Exposure Time, PPI: Proton Pumps Inhibitors, GERD: gastroesophageal reflux disease, LRT: Laryngeal Recalibration Therapy.

Patient with LPS
LPS + esophageal symptoms
lsolated LPS
LA grades B, C, D, esophagitis
Barret's esophagus on biopsy

Laryngopharyngeal Reflux: Historical Perspectives, Current Diagnostics and Therapies, and Remaining Challenges Callie Cuff et al.

their secretion of acid, mucus, or pepsin, though further investigation is needed, however, to establish whether ablation significantly reduces LPS burden. 25 Transnasal esophagoscopy offers a minimally invasive, in-office assessment of the proximal esophagus, but should be reserved for providers with specialized training. 9 If endoscopic findings of reflux are absent, reflux monitoring can be pursued to further investigate its presence.

Available modalities include 96-hour extended wireless pH monitoring, 24-hour combined impedance-pH, hypopharyngeal and esophageal multichannel intraluminal impedance-pH (HEMII-pH).26 - 28 Wireless pH and pH-impedance are currently the primary instruments to diagnose reflux in LPRD. Both measure acid exposure time (AET) in the distal esophagus. An AET > 6.0% on either study (and over two or more days on the 96-hour study) is confirmatory of GERD/LPRD.24, 28, 29 While prolonged wireless pH monitoring improves day-to-day reproducibility compared with single-day impedance testing, it lacks impedance-based detection of nonacid reflux. However, there are currently no validated standalone thresholds for nonacid reflux and interobserver variability in interpreting impedance data and laryngoscopic findings complicates cross-study comparisons. HEMII-pH provides superior characterization of mixed and weakly acidic events, both proximally and distally, but it remains technically complex and less widely available.27 There is no universal acceptance of the thresholds used to define abnormal proximal acid reflux, which limits the standardization of HEMII-pH across practices.30 Beyond these modalities, salivary pepsin assays have shown potential as a noninvasive adjunctive test, but they have not yet been validated for routine diagnosis.31 In contrast, standalone oropharyngeal pH monitoring has demonstrated poor reproducibility and limited correlation with objectively confirmed reflux events, so it is not recommended for the diagnosis of LPRD.32, 33

Management Strategies

Management of LPRD and LPS is multimodal and tailored to symptom severity, objective evidence of reflux, and the presence of laryngeal hypersensitivity (Table 1). Initial management should focus on behavioral and lifestyle modifications, escalation to pharmacologic therapy and, when appropriate, procedural interventions for patients with persistent or objectively confirmed reflux.

Lifestyle and dietary measures are first-line treatments for patients with combined laryngopharyn -

geal and esophageal symptoms. These include losing weight to reduce intragastric pressure, avoiding latenight meals and maintaining an upright position for two to three hours after eating to minimize post-prandial reflux, and/or modifying sleeping positions to reduce nocturnal reflux. Dietary approaches include adopting a plant-forward or Mediterranean-style diet, which is thought to work by decreasing pepsin secretion. These strategies have shown benefit comparable to or exceeding those of pharmacologic therapy in some studies. 34, 35

Pharmacologic treatment often begins with a threemonth, twice daily PPI trial, as previously described, but alternative or adjunctive agents also exist. Alginates form a viscous gel “raft” that physically blocks reflux and reduces laryngeal exposure to gastric contents. 36 Their use four times daily (after meals and before bed) has shown to decrease LPS alone 37 or as an adjunct to PPI therapy. 38 Magaldrate is a topical antacid that neutralizes acid and chelates pepsin and bile. It can also be used as an adjunct for breakthrough symptoms. 30 H 2 receptor antagonists can provide additional acid suppression, particularly for nocturnal reflux. They may complement PPI therapy, though this has been more studied in GERD. 39 If these are ineffective, baclofen may be considered to reduce transient lower esophageal sphincter relaxations, thereby decreasing reflux episodes. However, its use may be limited by central nervous system side effects and it’s benefit for extraesophageal reflux is uncertain. 40 Finally, pepsin inhibitor, such as fosamprenavir, which target the proteolytic activity of pepsin, may prevent mucosal injury independent of acid suppression, though their use is still investigational. 41

For patients whose symptoms reflect or are compounded by laryngeal hypersensitivity rather than direct reflux injury, neuromodulators such as low-dose tricyclic antidepressants (TCAs), gabapentin, or pregabalin, can help reduce neurogenic cough or throat sensations. 9 A randomized controlled trial by Jang et al. demonstrated that amitriptyline significantly improved chronic laryngopharyngeal neuropathy symptoms compared with placebo, 42 though the anticholinergic effects of TCAs may also lead to dry mouth and worsen LPS. 43 Observational studies support the use of gabapentinoids for refractory sensory neuropathies involving the larynx 44, 45 and for chronic cough symptoms resulting from vagal-mediated hypersensitivity. 46 In patients with LPS and coexisting anxiety or depression, other neuromodulatory medications

Laryngopharyngeal Reflux: Historical Perspectives, Current Diagnostics and Therapies, and Remaining Challenges Callie Cuff

Clinical Evidence / Notes Refs Table 1. Summary of Management Strategies for laryngopharyngeal reflux disease

Category Intervention

Lifestyle and Diet

Pharmacologic Therapies

Weight loss, upright posture after meals, avoidance of late-night eating

Mediterranean or plant-based diet

Proton pump inhibitors (PPIs)

Alginates

Magaldrate

H2 receptor antagonists

Baclofen

Pepsin inhibitors (investigational)

Neuromodulators

Tricyclic antidepressants (e.g., amitriptyline)

Gabapentinoids (gabapentin, pregabalin)

SSRIs / SNRIs

Behavioral and Speech Therapy

Surgical / Endoscopic Therapies

Speech-language therapy / Laryngeal Recalibration Therapy (LRT)

Laparoscopic fundoplication (Nissen, Toupet)

Magnetic sphincter augmentation (MSA)

Transoral incisionless fundoplication (TIF)

Mechanism / Rationale

Reduces intragastric pressure and postprandial reflux

Decreases pepsin secretion and improves reflux-related inflammation

Irreversible inhibition of gastric H*/K*-ATPase to suppress acid production

Forms a raft barrier at gastric contents to block acid/nonacid reflux

Neutralizes acid, chelates pepsin/ bile, provides topical mucosal protection

Reduce nocturnal acid breakthrough; complementary to PPIs

Reduces transient LES relaxations, lowering reflux events

Block pepsin-mediated mucosal injury independent of acid

Central modulation of laryngeal sensory pathways

Decrease laryngeal/vagal hypersensitivity

Target psychological comorbidity and visceral hypersensitivity

Retrains maladaptive throat clearing, cough, phonatory tension

Reinforces LES barrier by gastric fundus wrap; reduces acid & nonacid reflux

Magnetic bead ring enhances LES tone, preserves belching/emesis

Endoscopic creation of gastroesophageal valve; incisionless

Foundational measures; recommended for all patients with reflux symptoms (9, 11)

Comparable or superior efficacy to PPI therapy in some studies (34, 35)

Three-month, twice daily trial is a common first-line treatment in carefully selected with re-evaluation based on symptoms and objective finding. (9, 11)

Improves LPS as monotherapy or adjunct to PPIs (36-38)

Used for breakthrough symptoms; adjunctive option (30)

Evidence stronger in GERD; extrapolated to LPRD (39)

Limited by CNS side effects; uncertain LPRD efficacy (40)

Under investigation; potential novel therapy (41)

RCT showed symptom improvement vs placebo; dry mouth possible side effect

(42, 43)

Observational data show benefits for chronic cough, sensory neuropathy (44, 46)

Limited data for LPS but may help comorbid anxiety/depression (9)

Improves symptoms and voice outcomes; evidence for sustained benefit

(47, 49)

Best outcomes with documented pathologic reflux on testing (50, 51, 55)

Shown to reduce reflux burden and improve symptoms (52, 53)

Minimally invasive; benefit in select patients with objective reflux (54, 55)

Laryngopharyngeal Reflux: Historical Perspectives, Current Diagnostics and Therapies, and Remaining Challenges

such as selective serotonin reuptake inhibitors or serotonin–norepinephrine reuptake inhibitors may provide symptomatic benefit. This pattern is also seen in disorders of gut-brain interaction (DGBI), although data specific to LPS are limited. 9

Behavioral approaches, including speech-language–guided laryngeal therapy or laryngeal recalibration therapy (LRT), aim to retrain maladaptive behaviors such as throat clearing, chronic coughing, and hyperresponsive vocal fold. 47, 48 These interventions combine breathing retraining, phonatory control, and desensitization techniques to normalize sensory perception and reduce inappropriate laryngeal muscle activation. In a recent prospective study, LRT significantly improved symptom burden and perceptual voice outcomes in patients with suspected LPRD. 47 Evidence from related voice and cough disorders supports the use of speech-language therapy as a first-line or adjunctive strategy for laryngeal hypersensitivity, providing longterm benefits when combined with reflux management or neuromodulator therapy. 16, 47 49

Surgical or endoscopic interventions, such as laparoscopic fundoplication, magnetic sphincter augmentation (MSA), or transoral incisionless fundoplication (TIF), are generally reserved for carefully selected patients with objectively documented pathologic reflux who continue to experience symptoms despite optimized medical and behavioral therapy. 9

Laparoscopic fundoplication, which is most commonly performed using a Nissen or Toupet technique, strenghens the lower esophageal sphincter (LES) by wrapping the gastric fundus around the distal esophagus, thereby reducing both acid and nonacid reflux events. 50, 51 Magnetic sphincter augmentation employs a ring of magnetic beads placed around the LES to increase sphincter tone while preserving physiologic ability to belch and vomit. 52, 53 Transoral incisionless fundoplication is an endoscopic alternative that reconstructs the gastroesophageal valve through a transoral approach. This avoids abdominal incisions and offers a less invasive option for select patients. 54

While surgical interventions can improve reflux burden and reduce laryngeal symptoms in patients with confirmed extraesophageal reflux, outcomes are highly dependent on appropriate patient selection. Meta-analyses indicate that surgical success is greatest when abnormal esophageal acid exposure or impedance events are documented preoperatively. Patients with isolated laryngeal symptoms and normal reflux testing derive less benefit. 55, 56 Consequently, current

consensus guidelines emphasize that anti-reflux surgery should be pursued only after objective evidence of reflux is confirmed and non-reflux mechanisms of laryngopharyngeal symptoms have been excluded. 9, 55 Finally, integration of multidisciplinary care is increasingly recognized as crucial for managing LPS and LPRD. Gastroenterologists, otolaryngologists, speech-language pathologists, dieticians, and behavioral health specialists can collaborate to address the interplay of reflux, hypersensitivity, and psychosocial factors, tailoring therapy to individual patients.

Future Directions

Future efforts in LPRD are focused on refining diagnostic precision and advancing patient-centered care. Ongoing interdisciplinary research aims to establish clear, evidence-based thresholds for pH-impedance and proximal esophageal acid exposure, as well as validate symptom and risk stratification tools that can reliably distinguish reflux-related disease from other laryngeal disorders. It is equally important to develop and validate robust patient-reported outcome measures and conduct long-term prospective studies to evaluate the comparative effectiveness of medical, behavioral, and surgical interventions. Longitudinal phenotyping could eventually allow tailored therapy based on reflux burden, sensory phenotype, and psychosocial profile. A personalized, multidisciplinary model that integrates gastroenterology, otolaryngology, speech-language pathology, and behavioral health is increasingly recognized as essential to address the complex interplay of reflux, laryngeal hypersensitivity, and neurogenic factors in individual patients. Together, these efforts will help tailor therapy, avoid overtreatment, and optimize long-lasting symptom relief for diverse patient populations.

Conclusion

Since its initial description, the concept of LPR has been clouded by symptom overlap with other gastrointestinal and airway disorders. Careful evaluation of patients with LPS should include exclusion of non-reflux etiologies and, when appropriate, objective reflux testing to confirm LPRD. For patients with confirmed LPRD, treatment plans should emphasize evidence-based strategies for controlling reflux and multidisciplinary support for managing laryngeal hypersensitivity. Continued interdisciplinary collaboration between gastroenterology, otolaryngology, speech-language pathology, and behavioral health is essential for advancing both diagnostic precision

Laryngopharyngeal Reflux: Historical Perspectives, Current Diagnostics and Therapies, and Remaining Challenges Callie Cuff et al.

and therapeutic outcomes. To achieve these goals, future research should aim to establish diagnostic thresholds, validate or develop new symptom and risk stratification tools, and refine treatment pathways.

Intellectual property. The authors declare that the data and figures presented in the manuscript are original and were carried out at their belonging institutions.

Funding. The authors declare that there were no external sources of funding.

Conflict of interest. The authors declare that they have no conflicts of interest in relation to this article.

Copyright © 2025 Acta Gastroenterológica latinoamericana. This is an openaccess article released under the terms of the Creative Commons Attribution (CC BY-NCSA 4.0) license, which allows non-commercial use, distribution, and reproduction, provided the original author and source are acknowledged

Cite this article as: Cuff C and Yadlapati R. Laryngopharyngeal Reflux: Historical Perspectives, Current Diagnostics and Therapies, and Remaining Challenges. Acta Gastroenterol Latinoam. 2025;55(4):292-302. https://doi. org/10.52787/agl.v55i4.555

4. Lee YC, Lee JS, Kim SW, Kwon KH, Eun YG. Influence of age on treatment with proton pump inhibitors in patients with laryngopharyngeal reflux disease: a prospective multicenter study. JAMA Otolaryngol Head Neck Surg. 2013;139(12):1291-5.

5. Cherry J, Margulies SI. Contact ulcer of the larynx. Laryngoscope. 1968;78(11):1937-40.

6. Koufman J, Sataloff RT, Toohill R. Laryngopharyngeal reflux: consensus conference report. J Voice. 1996;10(3):215-6.

7. Koufman JA, Aviv JE, Casiano RR, Shaw GY. Laryngopharyngeal reflux: position statement of the committee on speech, voice, and swallowing disorders of the American Academy of Otolaryngology-Head and Neck Surgery. Otolaryngol Head Neck Surg. 2002;127(1):32-5.

8. Ford CN. Evaluation and management of laryngopharyngeal reflux. JAMA. 2005;294(12):1534-40.

9. Yadlapati R, Weissbrod P, Walsh E, Carroll TL, Chan WW, Gartner-Schmidt J, et al. The San Diego Consensus for Laryngopharyngeal Symptoms and Laryngopharyngeal Reflux Disease. Am J Gastroenterol. 2025.

10. Blaine-Sauer S, Bock J, Bor S, Allen J, Randall DR, Mittal S, et al. Extraesophageal reflux: Clinical manifestations and tools for diagnosis and treatment. Ann N Y Acad Sci. 2025;1547(1):233-44.

11. Cui N, Dai T, Liu Y, Wang YY, Lin JY, Zheng QF, et al. Laryngopharyngeal reflux disease: Updated examination of mechanisms, pathophysiology, treatment, and association with gastroesophageal reflux disease. World J Gastroenterol. 2024;30 (16):2209-19.

12. Canning BJ, Chang AB, Bolser DC, Smith JA, Mazzone SB, McGarvey L, et al. Anatomy and neurophysiology of cough: CHEST Guideline and Expert Panel report. Chest. 2014;146 (6):1633-48.

13. Bucca CB, Bugiani M, Culla B, Guida G, Heffler E, Mietta S, et al. Chronic cough and irritable larynx. J Allergy Clin Immunol. 2011;127(2):412-9.

14. Franco RA, Andrus JG. Common diagnoses and treatments in professional voice users. Otolaryngol Clin North Am. 2007; 40(5):1025-61, vii.

15. Lechien JR, Saussez S, Muls V, Barillari MR, Chiesa-Estomba CM, Hans S, et al. Laryngopharyngeal Reflux: A State-of-the-Art Algorithm Management for Primary Care Physicians. J Clin Med. 2020;9(11).

16. Krause AJ, Walsh EH, Weissbrod PA, Taft TH, Yadlapati R. An update on current treatment strategies for laryngopharyngeal reflux symptoms. Ann N Y Acad Sci. 2022;1510(1):5-17.

17. Gyawali CP, Carlson DA, Chen JW, Patel A, Wong RJ, Yadlapati RH. ACG Clinical Guidelines: Clinical Use of Esophageal Physiologic Testing. Am J Gastroenterol. 2020;115(9):1412-28.

References

1. Lechien JR, Saussez S, Schindler A, Karkos PD, Hamdan AL, Harmegnies B, et al. Clinical outcomes of laryngopharyngeal reflux treatment: A systematic review and meta-analysis. Laryngoscope. 2019;129(5):1174-87.

2. Yadlapati R, Katzka DA. Laryngopharyngeal Reflux Is an Eternally Rolling Boulder. Clin Gastroenterol Hepatol. 2020;18(7):1431-2.

3. Krause AJ, Carlson DA, Chan WW, Chen CL, Gyawali CP, Laryngeal Symptoms Working G, et al. High Diagnostic Yield of Abnormal Endoscopic Findings in the Evaluation of Laryngopharyngeal Reflux. Clin Gastroenterol Hepatol. 2024;22(8):1741-3 e1.

 Acta Gastroenterol Latinoam 2025;55(4):292-302

18. Francis DO, Rymer JA, Slaughter JC, Choksi Y, Jiramongkolchai P, Ogbeide E, et al. High economic burden of caring for patients with suspected extraesophageal reflux. Am J Gastroenterol. 2013;108(6):905-11.

19. Liu K, Krause AJ, Greytak M, Taft T, Walsh E, Yadlapati R. Psychosocial burden in patients with chronic laryngopharyngeal symptoms with and without pathologic acid reflux. Neurogastroenterol Motil. 2024;36(9):e14852.

20. Abraham ZS, Kahinga AA. Utility of reflux finding score and reflux symptom index in diagnosis of laryngopharyngeal reflux disease. Laryngoscope Investig Otolaryngol. 2022;7(3):785-9.

Laryngopharyngeal Reflux: Historical Perspectives, Current Diagnostics and Therapies, and Remaining Challenges Callie Cuff et al.

21. Krause AJ, Kaizer AM, Carlson DA, Chan WW, Chen CL, Gyawali CP, et al. Validated Clinical Score to Predict Gastroesophageal Reflux in Patients With Chronic Laryngeal Symptoms: COuGH RefluX. Clin Gastroenterol Hepatol. 2024;22(6):1200-9 e1.

22. Patel DA, Sharda R, Choksi YA, Slaughter JC, Higginbotham T, Garrett CG, et al. Model to Select On-Therapy vs Off-Therapy Tests for Patients With Refractory Esophageal or Extraesophageal Symptoms. Gastroenterology. 2018;155(6) 1729-40 e1.

23. Krause AJ, Yadlapati R, Wong MW, Taft T, Pandolfino JE, Gyawali CP, et al. Validation of the Laryngeal Cognitive-affective Tool in a Taiwanese Population. J Clin Gastroenterol. 2024.

24. Gyawali CP, Yadlapati R, Fass R, Katzka D, Pandolfino J, Savarino E, et al. Updates to the modern diagnosis of GERD: Lyon consensus 2.0. Gut. 2024;73(2):361-71.

25. Dunn JM, Sui G, Anggiansah A, Wong T. Radiofrequency ablation of symptomatic cervical inlet patch using a through-thescope device: a pilot study. Gastrointest Endosc. 2016;84(6): 1022-6 e2.

26. Lechien JR. Clinical Update Findings about pH-Impedance Monitoring Features in Laryngopharyngeal Reflux Patients. J Clin Med. 2022;11(11).

27. Lechien JR, Bobin F. Variability and accuracy of multiple saliva pepsin measurements in laryngopharyngeal reflux patients. J Otolaryngol Head Neck Surg. 2023;52(1):66.

28. Yadlapati R, Masihi M, Gyawali CP, Carlson DA, Kahrilas PJ, Nix BD, et al. Ambulatory Reflux Monitoring Guides Proton Pump Inhibitor Discontinuation in Patients With Gastroesophageal Reflux Symptoms: A Clinical Trial. Gastroenterology. 2021;160(1):174-82 e1.

29. Yadlapati R, Gyawali CP, Masihi M, Carlson DA, Kahrilas PJ, Nix BD, et al. Optimal Wireless Reflux Monitoring Metrics to Predict Discontinuation of Proton Pump Inhibitor Therapy. Am J Gastroenterol. 2022;117(10):1573-82.

30. Lechien JR. Pharmacological and Biological Relevance in the Medical Treatment of Laryngopharyngeal Reflux: A State-of-theArt Review. J Voice. 2024.

31. Jing W, Luo W, Lou L. Diagnostic utility of salivary pepsin in laryngopharyngeal reflux: a systematic review and meta-analysis. Braz J Otorhinolaryngol. 2023;89(2):339-47.

32. Desjardin M, Roman S, des Varannes SB, Gourcerol G, Coffin B, Ropert A, et al. Pharyngeal pH alone is not reliable for the detection of pharyngeal reflux events: A study with oesophageal and pharyngeal pH-impedance monitoring. United European Gastroenterol J. 2013;1(6):438-44.

33. Yadlapati R, Adkins C, Jaiyeola DM, Lidder AK, Gawron AJ, Tan BK, et al. Abilities of Oropharyngeal pH Tests and Salivary Pepsin Analysis to Discriminate Between Asymptomatic Volunteers and Subjects With Symptoms of Laryngeal Irritation. Clin Gastroenterol Hepatol. 2016;14(4):535-42 e2.

34. Snow G, Dhar SI, Akst LM. How to Understand and Treat Laryngopharyngeal Reflux. Gastroenterol Clin North Am. 2021;50(4):871-84.

35. Zalvan CH, Hu S, Greenberg B, Geliebter J. A Comparison of Alkaline Water and Mediterranean Diet vs Proton Pump Inhibition for Treatment of Laryngopharyngeal Reflux. JAMA Otolaryngol Head Neck Surg. 2017;143(10):1023-9.

36. Leiman DA, Riff BP, Morgan S, Metz DC, Falk GW, French B, et al. Alginate therapy is effective treatment for gastroesophageal reflux disease symptoms: a systematic review and meta-analysis. Dis Esophagus. 2017;30(2):1-8.

37. McGlashan JA, Johnstone LM, Sykes J, Strugala V, Dettmar PW. The value of a liquid alginate suspension (Gaviscon Advance) in the management of laryngopharyngeal reflux. Eur Arch Otorhinolaryngol. 2009;266(2):243-51.

38. Reimer C, Lodrup AB, Smith G, Wilkinson J, Bytzer P. Randomised clinical trial: alginate (Gaviscon Advance) vs. placebo as add-on therapy in reflux patients with inadequate response to a once daily proton pump inhibitor. Aliment Pharmacol Ther. 2016;43(8):899-909.

39. Mainie I, Tutuian R, Castell DO. Addition of a H2 receptor antagonist to PPI improves acid control and decreases nocturnal acid breakthrough. J Clin Gastroenterol. 2008;42(6):676-9.

40. Vaezi MF, Katzka D, Zerbib F. Extraesophageal Symptoms and Diseases Attributed to GERD: Where is the Pendulum Swinging Now? Clin Gastroenterol Hepatol. 2018;16(7):1018-29.

41. Johnston N, Samuels TL, Goetz CJ, Arnold LA, Smith BC, Seabloom D, et al. Oral and Inhaled Fosamprenavir Reverses Pepsin-Induced Damage in a Laryngopharyngeal Reflux Mouse Model. Laryngoscope. 2023;133 Suppl 1(Suppl 1):S1-S11.

42. Jang M, Rubin SJ, Stein DJ, Noordzij JP. Randomized double blind trial of amitriptyline versus placebo in treatment of chronic laryngopharyngeal neuropathy. Am J Otolaryngol. 2017;38(6):683-7.

43. Jeyakumar A, Brickman TM, Haben M. Effectiveness of amitriptyline versus cough suppressants in the treatment of chronic cough resulting from postviral vagal neuropathy. Laryngoscope. 2006;116(12):2108-12.

44. Miller N, Noller M, Yang A, McCoul ED, Tolisano AM, Riley CA. Lesser Known Uses of gamma-Aminobutyric Acid Analogue Medications in Otolaryngology. Laryngoscope. 2022;132 (5):954-64.

45. Halum SL, Sycamore DL, McRae BR. A new treatment option for laryngeal sensory neuropathy. Laryngoscope. 2009;119 (9):1844-7.

46. Ryan NM, Birring SS, Gibson PG. Gabapentin for refractory chronic cough: a randomised, double-blind, placebo-controlled trial. Lancet. 2012;380(9853):1583-9.

47. Walsh E, Krause AJ, Greytak M, Kaizer AM, Weissbrod PA, Liu K, et al. Laryngeal Recalibration Therapy Improves Laryngopharyngeal Symptoms in Patients With Suspected Laryngopharyngeal Reflux Disease. Am J Gastroenterol. 2024;119 (11):2198-205.

48. Algara MA, Chan WW. Update on laryngopharyngeal reflux disease. Curr Opin Gastroenterol. 2025;41(4):251-9.

49. Park JO, Shim MR, Hwang YS, Cho KJ, Joo YH, Cho JH, et al. Combination of voice therapy and antireflux therapy rapidly recovers voice-related symptoms in laryngopharyngeal reflux patients. Otolaryngol Head Neck Surg. 2012;146(1):92-7.

50. Lee R, Mittal RK, Chang KJ, Nguyen NT. Nature of antireflux barrier formed by Nissen fundoplication surgery. Sci Rep. 2025;15(1):34047.

51. Bredenoord AJ, Draaisma WA, Weusten BL, Gooszen HG, Smout AJ. Mechanisms of acid, weakly acidic and gas reflux after anti-reflux surgery. Gut. 2008;57(2):161-6.

Laryngopharyngeal Reflux: Historical Perspectives, Current Diagnostics and Therapies, and Remaining Challenges Callie Cuff

52. Maret-Ouda J, Markar SR, Lagergren J. Gastroesophageal Reflux Disease: A Review. JAMA. 2020;324(24):2536-47.

53. Sterris JA, Dunn CP, Bildzukewicz NA, Lipham JC. Magnetic sphincter augmentation versus fundoplication for gastroesophageal reflux disease: pros and cons. Curr Opin Gastroenterol. 2020;36(4):323-8.

54. Bazerbachi F, Krishnan K, Abu Dayyeh BK. Endoscopic GERD therapy: a primer for the transoral incisionless fundoplication procedure. Gastrointest Endosc. 2019;90(3):370-83.

55. Chen JW, Vela MF, Peterson KA, Carlson DA. AGA Clinical Practice Update on the Diagnosis and Management of Extraesophageal Gastroesophageal Reflux Disease: Expert Review. Clin Gastroenterol Hepatol. 2023;21(6):1414-21 e3.

56. Lechien JR, Dapri G, Dequanter D, Rodriguez Ruiz A, Marechal MT, De Marrez LG, et al. Surgical Treatment for Laryngopharyngeal Reflux Disease: A Systematic Review. JAMA Otolaryngol Head Neck Surg. 2019;145(7):655-66.

Latinoam 2025;55(4):292-302

Utilidad de los neuromoduladores en la práctica clínica: visión del gastroenterólogo

Karla Rocío García-Zermeño 1 · Jorge E. Aquino-Matus 2 · Joanna Jiménez Pavón 3 · José María Remes-Troche 4

1 Centro Integral de Gastroenterología y Motilidad Avanzada (CIGMA), Boca del Río, Veracruz, México.

2 Hospital Médica Sur, Unidad de Enfermedades Digestivas y Obesidad, Ciudad de México, México.

3 Departamento de Farmacogenética, Instituto Nacional de Psiquiatría Ramón de la Fuente Muñiz, Ciudad de México, México.

4 Laboratorio de Fisiología Digestiva y Motilidad Gastrointestinal. Instituto de Investigaciones Médico-Biológicas, Universidad Veracruzana, Veracruz, México. México.

Acta Gastroenterol Latinoam 2025;55(4):303-316

Recibido: 17/09/2025 / Aceptado: 03/11/2025 / Publicado online: 23/12/2025 / https://doi.org/10.52787/agl.v55i4.533

Resumen

Los neuromoduladores se han convertido en una herramienta fundamental dentro de la gastroenterología moderna, especialmente en los trastornos de la interacción cerebro-intestino. Originalmente desarrollados para el manejo de trastornos psiquiátricos, estos fármacos han demostrado capacidad para modular el dolor visceral, la hipersensibilidad intestinal y la motilidad digestiva, actuando a través de mecanismos centrales y periféricos. Entre los neuromoduladores más utilizados se encuentran los antidepresivos tricíclicos, efectivos en la reducción del dolor abdominal;

los inhibidores selectivos de la recaptación de serotonina, útiles en pacientes con ansiedad o depresión como comorbilidades; y los inhibidores de la recaptación de serotonina-noradrenalina, empleados en cuadros de dolor visceral con características neuropáticas. Otros fármacos como los gabapentinoides, la mirtazapina, la buspirona y ciertos antipsicóticos también han mostrado beneficios en fenotipos específicos. La selección del fármaco depende del perfil clínico del paciente, de sus comorbilidades, su tolerancia y del riesgo de efectos adversos, especialmente en pacientes ancianos y polimedicados. El manejo de los neuromoduladores se caracteriza por el uso de dosis iniciales bajas con incrementos graduales y el seguimiento cercano del paciente. Además, se recomienda un abordaje multidisciplinario que integre intervenciones no farmacológicas como la terapia cognitivo-conductual, la hipnoterapia dirigida al intestino y programas de mindfulness. Esta combinación potencia la eficacia clínica, reduce el estigma y mejora la calidad de vida, consolidando a los neuromoduladores como parte esencial del tratamiento integral de los trastornos de la interacción cerebro-intestino.

Correspondencia: José María Remes-Troche Correo electrónico: jose.remes.troche@gmail.com

Palabras claves. Neuromoduladores, trastornos de la interacción cerebro intestino, microbiota, antidepresivos, tricíclicos.

Utilidad de los neuromoduladores en la práctica clínica: visión del gastroenterólogo Karla Rocío García-Zermeño y col.

The Usefulness of

Neuromodulators

in Clinical Practice: The Gastroenterologist’s Viewpoint

Summary

Neuromodulators have become a fundamental tool in modern gastroenterology, particularly for disorders involving brain-gut interaction. Originally developed for the management of psychiatric disorders, these drugs have demonstrated the ability to modulate visceral pain, intestinal hypersensitivity, and gastrointestinal motility, acting through both central and peripheral mechanisms. The most widely used neuromodulators included tricyclic antidepressants, which are effective in reducing abdominal pain; selective serotonin reuptake inhibitors, which are useful for patients with comorbid anxiety or depression; and serotonin–norepinephrine reuptake inhibitors, which are used for visceral pain with neuropathic features. Other drugs, such as gabapentinoids, mirtazapine, buspirone, and certain antipsychotics, have also shown benefits in specific phenotypes. Drug selection depends on the patient´s clinical profile, comorbidities, tolerability, and risk of adverse effects, particularly for elderly and polymedicated patients. Neuromodulator management is characterized by the use of low initial doses with gradual increases and close patient monitoring. In addition, a multidisciplinary approach integrating non-pharmacological interventions such as cognitive-behavioral therapy, gut-directed hypnotherapy, and mindfulness-based programs, is recommended. This combination enhances clinical effectiveness, reduces stigma, and improves quality of life, consolidating neuromodulators as an essential part of the comprehensive treatment of disorders of brain-gut interaction.

Keywords. Neuromodulators, brain-gut interaction disorders, microbiota, antidepressants, tricyclics.

Introducción

En el contexto gastroenterológico, los neuromoduladores se definen como un grupo heterogéneo de fármacos con actividad psicotrópica primaria (antidepresiva, ansiolítica o antipsicótica) que han sido reapropiados para su uso en gastroenterología, debido a su capacidad para regular el procesamiento del dolor visceral, la sensibilidad y la motilidad gastrointestinales.1 Estos agentes incluyen principalmente a los antidepresivos tricíclicos (ATC), los inhibidores selectivos de la recaptación de serotonina (ISRS), los inhibidores de la recaptación de serotonina y noradrenalina (IRSN), los antiepilépticos con propieda-

des neuromoduladoras, como los gabapentinoides, y, en casos seleccionados, algunos antipsicóticos.1, 2

El eje intestino-cerebro constituye una red compleja de comunicación bidireccional que integra señales neurales, endocrinas, inmunitarias y metabólicas entre el sistema nervioso central y el sistema nervioso entérico.3 Esta comunicación multimodal involucra vías vagales, simpáticas, el eje hipotálamo-hipófisis-adrenal, citocinas proinflamatorias y productos derivados de la microbiota intestinal, todos los cuales influyen de manera significativa en la función gastrointestinal, la percepción visceral y la respuesta inmunitaria local.3, 4

La relevancia clínica del eje intestino-cerebro radica en su papel central en la fisiopatología de múltiples trastornos gastrointestinales, tanto funcionales como orgánicos. Las alteraciones en esta comunicación bidireccional pueden resultar en hipersensibilidad visceral, dismotilidad, alteraciones en la permeabilidad de la barrera mucosa y activación de respuestas neuroinflamatorias que caracterizan a los trastornos de la interacción cerebro intestino (TICI).3, 4, 5 Además, este eje explica la alta prevalencia de comorbilidad psiquiátrica observada en pacientes con trastornos gastrointestinales, en quienes la ansiedad y la depresión no solo coexisten, sino que pueden exacerbar los síntomas digestivos a través de mecanismos neurobiológicos compartidos.

El presente artículo tiene como objetivo principal proporcionar una revisión integral de la utilidad clínica de los neuromoduladores en la práctica gastroenterológica contemporánea, desde la perspectiva específica del gastroenterólogo clínico. El alcance de esta revisión incluye la evaluación de la eficacia clínica de los diferentes grupos de neuromoduladores en las principales indicaciones gastroenterológicas, el análisis de los perfiles de seguridad y tolerabilidad, las consideraciones para la selección individualizada del tratamiento, y las estrategias de monitoreo y seguimiento. Asimismo, se abordará la perspectiva psiquiátrica reconociendo la importancia del manejo multidisciplinario en algunos pacientes.

La importancia del eje intestino-cerebro

El eje intestino-cerebro (EIC) es una red de comunicación bidireccional que integra el sistema nervioso central (SNC), el sistema nervioso entérico (SNE), el sistema neuroendocrino, el sistema inmune y la microbiota (Figura 1). El SNE es un sistema autónomo con entre 400 y 600 millones de neuronas. A diferencia de otros órganos periféricos, el tracto digestivo posee un entramado neuronal intrínseco capaz de coordinar sus funciones, incluso sin influencia directa del SNC. Estas neuronas se agrupan en dos plexos principales: el mientérico, encarga-

Utilidad de los neuromoduladores en la práctica clínica: visión del gastroenterólogo Karla Rocío García-Zermeño y col.

do de la motilidad y el peristaltismo; y el submucoso, responsable de la regulación de la secreción, la absorción y la microcirculación. El SNE cumple funciones esenciales para la homeostasis gastrointestinal: regula la motilidad mediante patrones de contracción y relajación, controla la secreción y absorción de agua y electrolitos, ajusta el flujo sanguíneo local y participa en la integración neuroinmune y neuroendocrina, en estrecha interacción con mastocitos, linfocitos y células enteroendocrinas. Además, contiene circuitos reflejos completos que permiten respuestas autónomas a estímulos mecánicos y químicos,

Intes no Estrés, emociones, regulación del eje HHA

lo que explica cómo el intestino mantiene actividad coordinada incluso en ausencia de control central.6

Una característica importante es la diversidad neuroquímica. Las neuronas entéricas utilizan neurotransmisores como acetilcolina, serotonina, óxido nítrico, polipéptido intestinal vasoactivo (VIP), ácido gammaaminobutírico (GABA), entre otros, lo que explica por qué fármacos diseñados para el SNC pueden modular motilidad, sensibilidad y secreción a nivel digestivo. Esta base neurobiológica sustenta el uso de neuromoduladores como herramientas terapéuticas en los TICI.7

Eje intes no-cerebro

Estrés, emociones, regulación del eje HHA

Nervioso

Nervio vago, SNE

Endocrino

Hormonas, eje HIA

lnmune

Citocinas, inflamación

Microbiota intes nal

Metabolitos (SCFA, triptofáno, serotonina)

Trastornos psiquiátricos

Enfermedades neurodegenera vas

Obesidad/ metabólico

Trastornos gastrointes ntales

El cerebro (corteza, sistema límbico e hipotálamo) regula el estrés, las emociones y el eje hipotálamo–hipófisis–adrenal, estableciendo una comunicación bidireccional con el intestino. La microbiota intestinal produce metabolitos, como ácidos grasos de cadena corta, triptófano y serotonina, que modulan esta interacción. Los sistemas nerviosos (nervio vago, sistema nervioso entérico), endocrino (hormonas, eje hipotálamo–hipófisis–adrenal) e inmune (citoquinas, inflamación) actúan como mediadores clave. La alteración de este eje se asocia con múltiples patologías, incluyendo trastornos psiquiátricos, enfermedades neurodegenerativas, obesidad/ metabolismo alterado y trastornos gastrointestinales.

Por otra parte, la microbiota intestinal contribuye a la homeostasis del EIC. Sus metabolitos, como ácidos grasos de cadena corta, indoles, ácidos biliares secundarios, GABA y serotonina, actúan sobre células enteroendocrinas, neuronas entéricas y fibras vagales. Se ha demostrado, por ejemplo, que la ausencia de microbiota, como se observa en modelos axénicos, produce alteraciones en el desarrollo neurológico e inmune y aumenta la sensibilidad visceral a la distensión colónica. La colonización con microbiota específica puede revertir estas alteraciones y modular la ansiedad, confirmando el carácter bidireccional del EIC.8, 9 En humanos, múltiples estudios han

mostrado que los pacientes con síndrome de intestino irritable (SII) presentan disbiosis, caracterizada por menor diversidad microbiana, reducción de géneros como Bifidobacterium y Lactobacillus e incremento de bacterias proinflamatorias. Estas alteraciones se asocian con activación mastocitaria y liberación de mediadores inflamatorios, contribuyendo a la hipersensibilidad visceral.10

Neurobiología compartida entre los trastornos de la interacción cerebro-intestino y los trastornos del ánimo

Como se mencionó previamente, la interconexión a

Figura 1. Esquema del eje intestino-cerebro y sus principales mecanismos de comunicación

Utilidad de los neuromoduladores en la práctica clínica: visión del gastroenterólogo Karla Rocío García-Zermeño y col.

lo largo del eje cerebro-intestino es una red bidireccional que integra los sistemas neuronales entérico y autonómico, el sistema neuroendocrino hipotálamo-hipófisis-adrenal (HPA) y la señalización inmune. Para fines prácticos podemos dividir los mecanismos neurobiológicos compartidos entre TICI y los trastornos del ánimo en cinco mecanismos fisiopatológicos:

a) Dismetabolismo de neurotransmisores (serotonina, GABA, noradrenalina, dopamina y glutamato).

La microbiota intestinal modula de forma directa e indirecta la síntesis, liberación y recaptación de neurotransmisores clave como serotonina, GABA y glutamato, lo que repercute en la motilidad intestinal, la sensibilidad visceral y el estado afectivo. Cerca del 95% de la serotonina corporal se produce en el intestino (células enterocromafines y neuronas entéricas), de modo que cualquier cambio en la biosíntesis periférica o en la disponibilidad de su precursor, el triptófano, tiene consecuencias centrales y viscerales: la derivación del triptófano hacia la vía de la quinurenina, favorecida por la presencia de inflamación y estrés crónico, se asocia con depresión, ansiedad e hipersensibilidad visceral.11, 12 Además, metabolitos microbianos como los ácidos grasos de cadena corta (AGCC) modulan la excitabilidad neuronal y la expresión de receptores, afectando circuitos de dolor y afecto.13, 14, 15

b) Disfunción del eje hipotálamo-hipófisis-adrenal y respuesta al estrés crónico.

La activación sostenida del eje HPA por estrés crónico incrementa la liberación sostenida de cortisol, reduce la concentración de factor neurotrófico derivado del cerebro (BDNF) y, por lo tanto, altera la plasticidad sináptica por lo que favorece los procesos neuronales que nos permiten percibir el estado interno del cuerpo (interocepción), facilitando la hipervigilancia somática y la hipersensibilidad visceral. 13, 14 El estrés, además, induce disbiosis y aumenta la permeabilidad intestinal, retroalimentando la hiperactividad del eje HPA y amplificando la nocicepción visceral. Este marco mecanicista orienta al uso de neuromoduladores con efecto ansiolítico/antiestrés (ISRS/IRSN, buspirona), y a combinarlos con intervenciones mente - intestino (psicoterapia focalizada en síntomas gastrointestinales, respiración diafragmática e higiene del sueño). Fármacos como trazodona o mirtazapina pueden ser útiles cuando el insomnio y la activación simpática perpetúan el círculo vicioso.

c) Inflamación sistémica y neuroinflamación. La disbiosis y el aumento de la permeabilidad in -

testinal permiten el paso de señales microbianas (por ej., lipopolisacáridos) al torrente sanguíneo, activando respuestas inmunes que, a través de citoquinas y tráfico celular, impactan la permeabilidad de la barrera hematoencefálica, generando neuroinflamación con activación microglial. 16, 17 Este eje inmune-cerebral contribuye a la aparición de síntomas neuropsiquiátricos como anhedonia, ansiedad, alteraciones cognitivas e hipersensibilidad visceral. El desequilibrio entre los linfocitos Th17 productores de interleucinas proinflamatorias IL-17, IL-22 e IL-23 y las células T reguladoras (Treg) parece desempeñar un papel relevante en la perpetuación de la inflamación sistémica de bajo grado. 16, 17, 18 Hay evidencia sólida que respalda una relación bidireccional entre la inflamación de bajo grado y la depresión. 19 Numerosos estudios han demostrado que un subconjunto de personas con trastorno depresivo mayor (TDM) presenta niveles elevados de marcadores inflamatorios periféricos, como la proteína C reactiva (PCR), la interleucina-6 (IL-6) y el factor de necrosis tumoral alfa (TNF- α ). 20, 21, 22, 23 Este estado inflamatorio no es universal en todos los pacientes que cursan con un TDM, sino un perfil sintomático específico. En particular, se asocia a la presencia de síntomas físicos y cognitivos (por ej., fatiga, problemas del sueño, pérdida de energía/astenia, anhedonia) más que a síntomas puramente emocionales (por ej., desesperanza, temor, tristeza).

La relación también es bidireccional: la propia depresión puede promover respuestas inflamatorias, generando un ciclo que se autoperpetúa, caracterizado por síntomas gastrointestinales y disbiosis que complican tanto la evolución de la enfermedad como el tratamiento.

d) Papel del nervio vago

El nervio vago constituye la principal autopista bidireccional entre intestino y cerebro, integrando señalización mecánica y quimiosensorial, así como la vía antiinflamatoria colinérgica.24 Modelos preclínicos muestran que la interrupción vagal atenúa la transferencia de fenotipos depresivos tras trasplante fecal, lo que subraya su papel en traducir señales microbianas e inmunes a cambios conductuales y viscerales.25 En clínica, el objetivo es aumentar el tono vagal mediante técnicas respiratorias, biofeedback y psicoterapia centrada en interocepción, y considerar, en casos seleccionados, neuromodulación no invasiva (por ej., estimulación transcutánea del vago) como adyuvante; la farmacoterapia neuromoduladora puede sinergizar con estas intervenciones al reducir la hiperreactividad central.

Utilidad de los neuromoduladores en la práctica clínica: visión del gastroenterólogo Karla Rocío García-Zermeño y col.

e) Ácidos grasos de cadena corta: acetato, propionato y butirato

Los AGCC, productos de la fermentación de fibra por la microbiota, ejercen efectos tróficos y epigenéticos en el sistema nervioso central, aumentando BDNF, reforzando la integridad de la barrera hematoencefálica y modulando la expresión de receptores y la excitabilidad neuronal. El butirato destaca por su capacidad de actuar como inhibidor de histona desacetilasas.18 Niveles reducidos de AGCC se han asociado con depresión e inflamación de bajo grado, ofreciendo un nexo plausible entre dieta, microbiota y síntomas afectivos y viscerales. En términos terapéuticos, esto respalda intervenciones dietéticas ricas en fibra y, de forma selectiva, el uso de probióticos/prebióticos como coadyuvantes. También ayuda a explicar por

qué dosis bajas de ATC o IRSN pueden mejorar el dolor, al actuar sobre la modulación central de la sensibilidad. Los TICI comparten tres mecanismos fisiopatológicos claves: la hipersensibilidad visceral, la dismotilidad, y las alteraciones a nivel del SNC/SNE. En la Figura 2, se representan todos los TICI de acuerdo con los criterios de Roma IV. Los estudios epidemiológicos más recientes muestran que más del 40% de la población mundial presenta al menos un diagnóstico de este espectro, con un impacto significativo en la calidad de vida y en los costos en salud. Es importante recordar que Roma IV marcó un giro conceptual al reconocer las alteraciones del EIC como origen de los síntomas digestivos.26 Actualmente están en desarrollo los criterios de Roma V que, sin duda, pondrán mayor énfasis sobre el EIC y los TICI.

cerebro-intestino de acuerdo con

Esofágicos

Pirosis funcional

Hipersensibilidad por reflujo

Dolor torácico funcional

Disfagia funcional

Globus

Biliares

Dolor biliar: trastorno vesicular/es nter de Oddi biliar

Disfunción es nter Oddi pancreá co

Gastroduodenales

Dispepsia Funcional

- S. Distrés postprandial

- S. Dolor epigástrico

Trastornos por Eructos

- Eructo excesivo supragástrico

- Eructo excesivo gástrico

Trastornos de Naúsea y Vómito

- S. Náusea y vómito crónico

- S. Vómito cíclico

- S. Hiperemesis por cannabinoides

S. Rumiación

¿Por qué usar neuromoduladores en gastroenterología?

La justificación científica para el uso de neuromoduladores en gastroenterología se fundamenta en múltiples mecanismos de acción que abordan los componentes centrales y periféricos involucrados en la patogénesis de los TICI. 2 A nivel central, estos fármacos modulan el procesamiento del dolor visceral a través de la modificación de neurotransmisores clave como serotonina, noradrenalina y GABA, alterando

Intes nales

SII

Distensión funcional

Estreñimiento funcional

Diarrea funcional

Trastorno funcional intes nal inespecífico

Estreñimiento inducido por opiáceos

Trastornos dolorosos mediados centralmente

- Síndrome de dolor abdominal mediado centralmente (CAPS)

- Síndromede intes no narcó co/Hiperalgesia inducida por opioides

Anorrectales piso pélvico

Incon nencia Fecal

Dolor Anorrectal funcional

- S. Elevador del Ano

- Proctalgia Fugax

- Dolor anorrectaI inespecífico

Trastornos de la Defecación

- Propulsión defecatoria inadecuada

- Defecación disinérgica

las vías descendentes de inhibición del dolor y reduciendo la hipervigilancia central característica de estos trastornos. 1, 2 A nivel periférico, los neuromoduladores ejercen efectos directos sobre la motilidad gastrointestinal y los umbrales de percepción visceral. Los ATC, por ejemplo, pueden reducir la frecuencia de las contracciones intestinales y aumentar los umbrales de dolor visceral, mientras que los ISRS pueden normalizar patrones de motilidad alterados, a través de su acción sobre los

Figura 2. Trastornos de la interacción
los criterios de Roma IV

Utilidad de los neuromoduladores en la práctica clínica: visión del gastroenterólogo Karla Rocío García-Zermeño y col. receptores serotoninérgicos entéricos. 2, 10 Adicionalmente, estos fármacos pueden influir en las respuestas neuroinmunes locales, modulando la liberación de citocinas proinflamatorias y la activación de mastocitos, procesos que contribuyen a la sensibilización visceral. La presencia frecuente de comorbilidad psiquiátrica en pacientes con TICI proporciona una justificación adicional para el uso de neuromoduladores, ya que un solo agente puede abordar simultáneamente los síntomas gastrointestinales y las manifestaciones psiquiátricas asociadas, mejorando la adherencia terapéutica y la calidad de vida global del paciente. 8, 11

Neuromoduladores

Mecanismos de acción de los neuromoduladores

Los neuromoduladores ejercen sus efectos mediante mecanismos tanto centrales como periféricos (Tabla 1), actuando a través de diversas vías moleculares y celulares para regular la función y actuar sobre los mecanismos fisiopatológicos compartidos.

Mecanismos centrales: comprenden la modulación de

la transmisión sináptica y de la excitabilidad neuronal en el encéfalo y la médula espinal, mediada principalmente por receptores acoplados a proteínas G (RCPG), que inician cascadas de señalización intracelular capaces de modificar la excitabilidad neuronal, la plasticidad sináptica y la liberación de neurotransmisores.

Mecanismos periféricos: incluyen la modulación de la excitabilidad de las fibras aferentes y de la transmisión sináptica en el sistema nervioso periférico y la médula espinal. Monoaminas como la serotonina, la dopamina y la noradrenalina pueden regular la neurotransmisión de las aferencias primarias modulando la inhibición presináptica, en particular mediante la despolarización aferente primaria, que reduce la liberación de transmisor desde las aferencias sensoriales. Este proceso está mediado por la activación de canales iónicos y receptores metabotrópicos, lo que conduce a una modulación global de la entrada sensorial a la médula espinal, modulando la percepción del dolor y requiriendo menores concentraciones para su activación.

Mecanismo de acción Central Periférico

Ámbito anatómico

Modo de liberación

Efecto sobre excitabilidad/transmisión

Encéfalo y médula espinal.

Predomina la transmisión por volumen

Consecuencia funcional

Sistema nervioso periférico y terminaciones aferentes; proyección a médula espinal.

Liberación en terminales aferentes y sitios periféricos; (liberación difusa al espacio extracelular). efectos también en terminaciones centrales de aferentes.

Ajuste amplio y sostenido de redes

Inhibición presináptica de aferentes. (excitatoria e inhibitoria); reconfigura $ liberación de transmisor; modulación de circuitos en SNC. la excitabilidad aferente.

Sintoniza circuitos y estados de

Filtra y escala señales sensoriales que ingresan a médula; red (cognición, emoción, motor). condiciona reflejos y ganancia sensorial, modula la percepción del dolor.

Clasificación de acuerdo con su clase terapéutica a) Antidepresivos tricíclicos (ATC) Los ATC, como amitriptilina, nortriptilina o imipramina, son los neuromoduladores más estudiados en los TICI. Su acción combina la inhibición de la recaptación de serotonina y noradrenalina, potenciando las vías inhibitorias del dolor, y un efecto anticolinérgico periféri-

co que retarda el tránsito intestinal, útil en síndrome de intestino irritable con diarrea (SII-D).1, 2 Un metaanálisis ha confirmado su eficacia sobre el dolor abdominal y los síntomas globales, con un número necesario a tratar (NNT) de cuatro.29 El ensayo ATLANTIS estableció a la amitriptilina como segunda línea de tratamiento en el SII refractario, con beneficios sostenidos a seis meses.30

Tabla 1. Diferencias entre los mecanismos de acción de los neuromoduladores

Utilidad de los neuromoduladores en la práctica clínica: visión del gastroenterólogo Karla Rocío García-Zermeño y col.

b) Inhibidores selectivos de recaptación de serotonina (ISRS)

Los ISRS (sertralina, citalopram, escitalopram, paroxetina y fluoxetina) cumplen un rol distinto. Su efecto predominante es ansiolítico y antidepresivo, con un impacto indirecto en la percepción de los síntomas. Aceleran el tránsito intestinal, lo que los hace más útiles en síndrome de intestino irritable con estreñimiento (SII-E) y en pacientes con comorbilidad emocional. Aunque su efecto analgésico visceral es limitado en comparación con los ATC, mejoran el bienestar global y reducen la hipervigilancia y la catastrofización, factores claves en la percepción del paciente.1, 2

c) Inhibidores de recaptación de serotonina-noradrenalina (IRSN)

Los IRSN (duloxetina, venlafaxina) ejercen un bloqueo dual equilibrado. Aunque la evidencia en TICI es menor que con ATC, estudios preliminares y experiencia clínica muestran beneficios en dolor abdominal funcional (DAF) con comorbilidad ansioso-depresiva. La duloxetina, además, cuenta con amplio respaldo en dolor neuropático, lo que apoya su uso en fenotipos de dolor central.1, 2

d) Gabaérgicos

Los gabaérgicos o delta ligandos (gabapentina, pregabalina) disminuyen la excitabilidad neuronal al actuar sobre canales de calcio. Son eficaces en dolor neuropático, y en gastroenterología han mostrado resultados alentadores en dispepsia funcional (DF) y DAF al reducir la hiperalgesia visceral en pacientes refractarios a ATC o ISRS. Su uso se limita por mareo, somnolencia y la falta de ensayos clínicos de gran escala.1, 2

e) Otros neuromoduladores

Algunos fármacos específicos han mostrado utilidad en fenotipos particulares. Los agonistas 5-HT1A (buspirona, tandospirona) favorecen la relajación del fundus y la acomodación gástrica. La buspirona ha demostrado eficacia en el síndrome de distrés posprandial, 30, 31, 32 mientras que la tandospirona ha mostrado resultados preliminares en DF y ansiedad asociada. Entre los tetracíclicos, la mirtazapina es útil en DF con saciedad precoz, náuseas, pérdida de peso y ansiedad, y la trazodona se ha utilizado en dolor torácico funcional con insomnio y ansiedad. 33 Los antipsicóticos atípicos (levosulpirida, olanzapina, quetiapina) se

emplean en contextos seleccionados: la levosulpirida como procinético en DF, y olanzapina o quetiapina como coadyuvantes en hipervigilancia o SMP.1, 2, 30

Entre los anticonvulsivantes, el baclofeno (agonista GABA-B) reduce eructos supragástricos y rumiación. Otros fármacos, como topiramato y levetiracetam, se han estudiado en dolor visceral, síndrome del vómito cíclico y dolor torácico funcional, con resultados preliminares. 1, 2

¿Cómo elegir el neuromodulador según el fenotipo y las comorbilidades?

La elección del neuromodulador en adultos con TICI debe fundamentarse en el fenotipo clínico predominante de acuerdo con la clasificación de ROMA IV, las comorbilidades tanto orgánicas como neuropsiquiátricas, los riesgos y las preferencias del paciente. 2, 34 Los neuromoduladores tienen diversos efectos gastrointestinales sobre el dolor y la motilidad, así como efectos adversos e interacciones farmacológicas a considerarse en poblaciones de riesgo. Los ATC en dosis bajas y nocturnas son la primera línea en los pacientes con hipersensibilidad visceral; los ISRS son útiles en pacientes con ansiedad/depresión pero su efecto analgésico suele ser menor; los IRSN suelen prescribirse en pacientes con dolor neuropático y/o comorbilidad con fibromialgia, y la mirtazapina es la primera opción en cuadros asociados a insomnio, náuseas y pérdida de peso por hiporexia. 1

En la Tabla 2 se resume la clasificación y los enfoques terapéuticos para los TICI en adultos, con énfasis en los neuromoduladores de primera línea y en los coadyuvantes.

Asimismo, los neuromoduladores de acción central deben evitarse en algunos síntomas o síndromes de acuerdo con su perfil de efectos adversos. Los ISRS, IRSN, bupropión y topiramato deben evitarse en síndromes de náusea o vómito crónico. Los ATC y paroxetina pueden exacerbar el estreñimiento en pacientes con estreñimiento funcional o SII-E, y la mayoría de ISRS (excepto paroxetina) pueden empeorar la diarrea en pacientes con diarrea funcional o SII-D.31

En pacientes con hepatopatía crónica se suele evitar o ajustar la duloxetina, y en pacientes con enfermedad renal crónica se deben ajustar los delta-ligandos debido a un mayor riesgo de somnolencia. Los pacientes con sobrepeso u obesidad no son candidatos para mirtazapina, olanzapina o quetiapina, debido al incremento de peso clínicamente significativo.35

Utilidad de los neuromoduladores en la práctica clínica: visión del gastroenterólogo Karla Rocío García-Zermeño y col.

Tabla 2. Clasificación y enfoques terapéuticos para los trastornos de la interacción cerebro-intestino en adultos

Amitriptilina Baclofeno Buspirona Citalopram Duloxetina Escitalopram Fluoxetina Gabapentina Imipramina Levetiracetam Levosulpirida Mirtazapina Nortriptilina Olanzapina Paroxetina Pregabalina Quetiapina Sertralina Tandospirona Topiramato Trazodona Venlafaxina

Trastornos funcionales esofágicos

Trastornos funcionales gastroduodenales

Pirosis Funcional

Dolor torácico funcional

Hipersensibilidad al reflujo

Globus

Dispepsia tipo síndrome de dolor epigástrico

Dispepsia tipo síndrome de malestar posprandial

Gastroparesia

Síndrome de vómito cíclico

Síndrome de náusea y vómito crónico

Trastornos por eructos excesivos

Rumiación

Dolor abdominal mediado centralmente

Síndrome de intestino irritable con diarrea

Trastornos funcionales intestinales

Trastornos funcionales anorrectales

Síndrome de intestino irritable mixto

Síndrome de intestino irritable con estreñimiento

Distensión abdominal funcional

Dolor anorrectal funcional tipo no especificado

Síndrome del elevador del ano

Utilidad de los neuromoduladores en la práctica clínica: visión del gastroenterólogo Karla Rocío García-Zermeño y col.

Interacciones farmacológicas

Las interacciones farmacológicas, especialmente en pacientes con polifarmacia, conllevan una baja tolerancia y el abandono del tratamiento, así como efectos adversos potencialmente letales, por lo que una prescripción responsable con un seguimiento estrecho del paciente mejora los desenlaces del tratamiento y la seguridad del paciente.

La interacción de los ATC con el citocromo CYP2D6 incrementa los niveles de fluoxetina, paroxetina y bupropión, con mayor riesgo de efectos anticolinérgicos y prolongación del intervalo QT. La interacción de los macrólidos, azoles y jugo de toronja con el citocromo CYP3A4 incrementa los niveles de buspirona. Combinar los ISRS/ IRSN/TCA con triptanos, linezolid, inhibidores de monoamino-oxidasa (IMAO), tramadol o dextrometorfano puede precipitar el síndrome serotoninérgico. Los opioides y benzodiacepinas no se recomiendan en el manejo de los TICI, y los efectos sedativos pueden exacerbarse con los delta-ligandos.

El intervalo QT puede prolongarse con la combinación de escitalopram o citalopram con ATC, especialmente en mayores de 60 años, con alteraciones hidroelectrolíticas, hepatopatía crónica u otros fármacos que prolongan el intervalo QT (haloperidol, quetiapina, azitromicina, antihistamínicos, ondansetrón). Se recomienda tener un electrocardiograma basal antes de iniciar estos neuromoduladores.

Los ISRS incrementan el riesgo de hemorragia del tubo digestivo en pacientes que además consumen antiinflamatorios no esteroideos (AINEs) o aspirina. En un metaanálisis de once estudios que incluyó a 82605 pacientes, la tasa de sangrado fue mayor en el grupo de usuarios de ISRS/AINEs en comparación con ISRS (36,9% vs. 22,8%; RM 2,14, IC95% 1,52 - 3,02, p < 0,001). A su vez, se evidenció un mayor riesgo de sangrado en el grupo de usuarios ISRS/AINES en comparación con únicamente AINEs (40,9% vs. 34,2%; RM 1,49, IC 95% 1,20 - 1,84, p < 0,001). 36 Dado el mayor riesgo de sangrado con el uso concomitante de AINEs e ISRS, se debe tener especial precaución al administrarlos en conjunto y valorar el uso de IBP o PCAB como profilaxis, especialmente en pacientes con mayor riesgo de sangrado gastrointestinal.

Edad y perfil del paciente

En ancianos, para elegir un neuromodulador deben considerarse los riesgos propios del envejecimiento con respecto a la farmacocinética y la farmacodinámica, la vía de administración, las comorbilidades y la polifarmacia, para mejorar la tolerancia y reducir los efectos adversos.37

La estrategia de iniciar bajo y e ir lento (“start low, go slow”) cobra mayor relevancia en el paciente anciano, y se recomienda iniciar con la mitad o un cuarto de la dosis, con incrementos cada dos a cuatro semanas, con estrecha vigilancia de los efectos anticolinérgicos.1 En el caso de requerir ATC y de encontrarse disponibles en el mercado local, se prefiere nortriptilina o desipramina sobre amitriptilina.

En el análisis post hoc del estudio ATLANTIS que aleatorizó a pacientes con SII a amitriptilina contra placebo, se observó una diferencia cuantitativa en la efectividad en pacientes mayores de 50 años en el puntaje IBS-SSS (IBS Severity Scoring System) (DM - 46,5; IC 95% -74,2 a -18,8; p = 0,0010) y un alivio global subjetivo (RM 2,59; IC95% 1,47 a 4,55; p = 0,0010).38

La hiponatremia relacionada a ISRS/IRSN es más frecuente en ancianos y con el uso concomitante de diuréticos, por lo que se deben monitorizar los electrolitos séricos regularmente de acuerdo con la evolución clínica.

Manejo y seguimiento de la neuromodulación farmacológica

Inicio y ajuste de dosis

El principio de "iniciar bajo e ir lento" se aplica en todos los pacientes, para alcanzar una mayor tolerancia de los efectos adversos y un mayor apego al tratamiento.1, 34, 39 Los ATC se inician con dosis bajas nocturnas y se titulan cada 1 a 2 semanas de acuerdo con la respuesta y los efectos adversos (por ej., amitriptilina 12,5 mg por la noche, con incrementos de 6,25 a 12,5 mg cada 1 a 2 semanas hasta alcanzar 25 a 50 mg al día, incluso dividido en dos tomas).

Los ISRS suelen exacerbar los síntomas de ansiedad durante las primeras dos semanas, por lo que se recomienda indicarlos por la mañana (por ej., sertralina 25 mg por la mañana, con incrementos de 12,5 a 25 mg cada 1 a 2 semanas hasta alcanzar 50 a 100 mg por día). Por su parte, los IRSN en pacientes con dolor neuropático, comorbilidad afectiva relevante o fibromialgia también se prescriben por la mañana (por ej., duloxetina 30 mg por la mañana, con incremento hasta 60 mg en 1 a 2 semanas).

En pacientes con insomnio, náusea posprandial o pérdida ponderal importante, la mirtazapina (antidepresivo tetracíclico) o los antipsicóticos (olanzapina y quetiapina) suelen ser de utilidad (por ej., mirtazapina 7,5 mg por la noche, con incremento de 7,5 mg cada 1 a 2 semanas hasta alcanzar 15 a 30 mg cada noche). Por último, los delta-ligandos en pacientes con dolor neuropático suelen prescribirse por la noche debido a su efecto sedante (por

Utilidad de los neuromoduladores en la práctica clínica: visión del gastroenterólogo Karla Rocío García-Zermeño y col.

ej., gabapentina 100 mg por la noche, con incrementos de 100 a 300 mg cada 1 a 2 semanas hasta alcanzar 300600 mg hasta cada 8 horas).

Al suspender los ATC/ISRS/IRSN, se recomienda reducir gradualmente la dosis (por ej., 10%-25% cada 1 a 2 semanas) para minimizar los síntomas relacionados con el síndrome de descontinuación (mareo, insomnio, irritabilidad y parestesias).40

Tiempo hasta respuesta terapéutica

La analgesia visceral de los TCA se observa a las 2 a 4 semanas, con respuesta global a las 6 a 8 semanas, y la titulación flexible de acuerdo con respuesta clínica ha demostrado beneficios sostenidos. En el estudio ATLANTIS, que aleatorizó a 463 pacientes con SII a amitriptilina a dosis bajas (10 mg con titulación cada 3 semanas hasta 30 mg por día) o placebo por 6 meses, se observó una mayor reducción con amitriptilina en el IBS-SSS (-27,0; IC95% -46,9 a -7,109; p = 0,0079). 30 Los ISRS/IRNS mejoran los síntomas afectivos incluso antes que la analgesia visceral entre 4 y 8 semanas, y se potencian con otras intervenciones no farmacológicas.

Monitoreo de efectos adversos

Antes de iniciar los neuromoduladores se recomienda realizar electrocardiograma en reposo si hay factores de riesgo para QT prolongado, investigar electrolitos en pacientes de riesgo (por ej., enfermedad renal crónica), presión arterial (por ej., IRNS) y pruebas hepáticas (por ej., duloxetina).

Una buena práctica clínica consiste en agendar una primera consulta en 2 a 4 semanas para evaluar tolerabilidad y ajustar el neuromodulador, seguido de una nueva consulta en 6 a 8 semanas para evaluar la respuesta clínica.1, 34, 39

Estrategias para mejorar la adherencia

La definición de los objetivos terapéuticos, la explicación de la latencia terapéutica y el plan de titulación reduce las expectativas irreales y mejoran el cumplimiento del tratamiento. Las revisiones de seguimiento cada 2 a 4 semanas para ajustar dosis y tratar los efectos adversos, y cada 6 a 8 semanas para evaluar la respuesta clínica suelen sostener la adherencia. Las habilidades de comunicación bidireccional entre el médico y el paciente mejoran la comprensión y lo involucran en el tratamiento, favoreciendo la adherencia.1 La comunicación médico-paciente efectiva y un plan escrito de manejo de efectos adversos y datos de alarma incrementan significativamente la adherencia.41

¿Qué hacer cuando los neuromoduladores no funcionan?

Modelo de atención interdisciplinaria

Para un adecuado abordaje interdisciplinario, antes de la referencia del paciente desde gastroenterología a un especialista en salud mental, se le debe explicar el modelo cerebro-intestino de modo accesible, subrayando que las intervenciones psicológicas actúan sobre circuitos fisiológicos del dolor y de la interocepción y no constituyen una “psiquiatrización” del cuadro.

La validación del sufrimiento, la psicoeducación sobre la interocepción y la coordinación entre gastroenterología y salud mental son pilares para reducir el uso ineficiente de servicios y mejorar resultados. La explicación al paciente debe enfatizar que los neuromoduladores no “psiquiatrizan” su caso ni “tapan” los síntomas, sino que reequilibran circuitos que conectan el intestino y el cerebro, responsables de la sensibilidad, el dolor y la interocepción. Esa psicoeducación reduce el estigma, mejora la adherencia e incrementa la probabilidad de éxito terapéutico.

La referencia a un psiquiatra se deberá contemplar en casos en los que se detecte comorbilidad con trastornos del afecto o ansiedad –en especial de gravedad moderada a severa–, ante la sospecha de otros trastornos psiquiátricos –como trastornos de la conducta alimentaria o trastorno obsesivo compulsivo–, y en caso de necesitar combinar neuromoduladores de acción periférica con otros de acción central.

La comunicación clínica empática, las metas compartidas y la coordinación entre gastroenterología, psicología y psiquiatría son determinantes del éxito sobre los TICI y sus comorbilidades.

Criterios para derivación a psiquiatría

Se recomienda manejar en conjunto con psiquiatría cuando exista:1–3

• Depresión moderada–severa, riesgo suicida, trastorno de pánico grave o trastorno de estrés postraumático.

• Sospecha de trastorno bipolar o historia personal/ familiar de viraje maníaco/hipomaníaco.

• Psicosis, ideación suicida activa o uso problemático de sustancias.

• Refractariedad tras tratamientos adecuados (dosis/ tiempo) o polifarmacia compleja.

• Eventos adversos significativos (prolongación marcada del intervalo QT, síndrome serotoninérgico) o comorbilidad psiquiátrica que requiera optimización farmacológica específica.

Utilidad de los neuromoduladores en la práctica clínica: visión del gastroenterólogo Karla Rocío García-Zermeño y col.

Intervenciones no farmacológicas basadas en psicoterapia

La terapia cognitiva-conductual (TCC), la hipnoterapia dirigida al intestino y los programas basados en atención plena (mindfulness) constituyen intervenciones no farmacológicas de primera línea dentro del abordaje integral de los TICI y de la comorbilidad afectiva y ansiosa que los acompaña.42, 43 Estas terapias no invalidan el origen corporal del malestar; por el contrario, lo contextualizan en redes cerebro-viscerales susceptibles de ser moduladas con técnicas psicológicas estructuradas que muestran beneficios clínicos sostenidos.44

La TCC se orienta a identificar y modificar patrones de pensamiento y conductas que perpetúan el ciclo síntoma-ansiedad-evitación.45 En pacientes con SII, dispepsia funcional y otros TICI, la TCC aborda creencias de catastrofización, hipervigilancia interoceptiva y conductas de seguridad (restricciones dietéticas extremas, evitación de actividades, uso excesivo de servicios), al tiempo que entrena habilidades de afrontamiento, exposición interoceptiva y normalización del ritmo de vida.44, 45 Típicamente se plantea en un formato breve con metas explícitas, tareas entre sesiones y monitorización de síntomas; los programas presenciales estándar abarcan entre diez y dieciséis sesiones, aunque existen versiones de “mínimo contacto” por teléfono, internet o aplicaciones móviles que preservan una parte relevante del efecto terapéutico.42, 46 En la práctica gastroenterológica, la TCC reduce la intensidad y la interferencia de dolor abdominal, distensión y alteraciones del hábito intestinal, mejora la calidad de vida y atenúa la comorbilidad ansioso-depresiva, con ganancias que suelen mantenerse a mediano plazo cuando se sostienen las habilidades aprendidas.43, 46

La hipnoterapia dirigida al intestino utiliza un estado de atención focalizada y receptividad incrementada para introducir sugerencias terapéuticas que reencuadran la relación del paciente con las sensaciones viscerales y con el estrés. 47 Los protocolos contemporáneos combinan inducciones breves, metáforas viscerales y sugerencias poshipnóticas orientadas a disminuir la hipersensibilidad, recuperar la sensación de control y modular el impacto del estrés sobre el eje intestino - cerebro. 47, 48 Habitualmente se programa una serie de siete a doce sesiones con frecuencia semanal, con práctica domiciliaria mediante audios, ajustando la frecuencia según la gravedad clínica. Aunque la evidencia más robusta proviene del SII, la utilidad se ha extendido a otras entidades funcionales. En la experiencia clínica, la hipnoterapia ofrece mejoras duraderas en el dolor, la

urgencia, la distensión y el bienestar, y resulta especialmente valiosa en perso nas con marcada hipervigilancia somática o respuestas de ansiedad condicionadas a contextos digestivos. 49

Los programas de mindfulness no buscan eliminar el síntoma, sino cambiar la relación con él.50 Mediante entrenamiento sistemático en atención al presente, conciencia corporal sin juicio y regulación emocional, el paciente aprende a observar sus sensaciones intestinales, pensamientos y emociones con menor reactividad.50 Este cambio reduce el sufrimiento asociado al síntoma, atenúa la rumiación y mejora el manejo del estrés, con efectos indirectos sobre la hipersensibilidad visceral y la variabilidad de la motilidad.46, 50 Intervenciones estructuradas, desde formatos breves hasta programas estandarizados de varias semanas han mostrado efectos clínicamente significativos en reducción de distrés, mejoría de síntomas gastrointestinales y descenso de la ansiedad específica relacionada con la digestión, además de favorecer la adherencia a hábitos saludables.50

La elección entre TCC, hipnoterapia o mindfulness puede guiarse por el fenotipo predominante: patrones de catastrofización, evitación y conductas de seguridad orientan hacia la TCC; en casos de hipervigilancia visceral intensa con ansiedad condicionada o pobre sensación de control se favorece la hipnoterapia; el estrés crónico, la reactividad emocional elevada y la necesidad de habilidades transdiagnósticas de regulación inclinan hacia mindfulness

Conclusión

Los neuromoduladores han emergido como una herramienta terapéutica fundamental en el arsenal del gastroenterólogo moderno para el manejo de los TICI. La evidencia científica acumulada durante las últimas décadas demuestra inequívocamente que estos fármacos, originalmente desarrollados para el tratamiento de trastornos psiquiátricos, poseen propiedades únicas que los convierten en agentes altamente efectivos para modular el procesamiento del dolor visceral, la sensibilidad intestinal y la motilidad gastrointestinal a través de mecanismos centrales y periféricos específicos. La comprensión profunda del eje intestino-cerebro como una red compleja de comunicación bidireccional ha proporcionado el marco conceptual necesario para justificar científicamente el uso de ATC, ISRS, IRSN, y gabapentinoides en condiciones como el SII, la dispepsia funcional y otros trastornos funcionales digestivos. Su implementación exitosa requiere de una selección cuidadosa basada en las características individuales del paciente, un conocimiento detallado de sus

Utilidad de los neuromoduladores en la práctica clínica: visión del gastroenterólogo Karla Rocío García-Zermeño y col.

perfiles farmacológicos y de seguridad, y la adopción de estrategias de dosificación graduales con monitoreo clínico apropiado. La integración de intervenciones no farmacológicas como la terapia cognitivo-conductual, la hipnoterapia dirigida al intestino y los programas de mindfulness , junto con un enfoque multidisciplinario que incluya la colaboración con psiquiatría cuando se necesite, optimiza los resultados terapéuticos y mejora significativamente la calidad de vida de los pacientes. A medida que avanza la investigación en neurobiología del dolor visceral, farmacogenómica y medicina personalizada, es probable que el papel de los neuromoduladores en gastroenterología continúe evolucionando hacia enfoques más precisos y efectivos, consolidándose su posición como componentes esenciales del tratamiento integral de los TICI en la práctica clínica contemporánea.

Referencias

1. Gómez-Escudero O, Coss-Adame E, Rao SS, et al. Clinical practice recommendations on the use of neuromodulators in gastroenterology: AMG-AMNM expert joint review. Rev Gastroenterol Mex. 2025;90(1):45-58.

2. Drossman DA, Tack J, Ford AC, et al. Neuromodulators for functional gastrointestinal disorders (disorders of gut-brain interaction): a Rome Foundation Working Team report. Gastroenterology. 2018;154(4):1140-71.e1.

3. Mogilevski T. The bi-directional role of the gut-brain axis in inflammatory and other gastrointestinal diseases. Curr Opin Gastroenterol. 2021;37(6):565-71.

4. Aljeradat B, Kaddoumi A, Qinna NA, et al. Neuromodulation and the Gut-Brain Axis: Therapeutic Mechanisms and Implications for Gastrointestinal and Neurological Disorders. Pathophysiology. 2024;31(2):234-51.

5. Camilleri M. Peripheral mechanisms in irritable bowel syndrome. N Engl J Med. 2012;367(17):1626-35.

6. Fleming MA 2nd, Ehsan L, Moore SR, Levin DE. The enteric nervous system and its emerging role as a therapeutic target. Gastroenterol Res Pract. 2020;2020:8024171.

7. Chanpong A, Borrelli O, Thapar N. Recent advances in understanding the roles of the enteric nervous system. Fac Rev. 2022;11:7.

Propiedad intelectual. Los autores declaran que los datos, las tablas y las figuras presentes en el manuscrito son originales y se realizaron en sus instituciones pertenecientes.

Financiamiento. Los autores declaran que no hubo fuentes de financiación externas.

Conflictos de interés. Los autores declaran no tener conflictos de interés en relación con este artículo.

8. Carabotti M, Scirocco A, Maselli MA, Severi C. The gut-brain axis: interactions between enteric microbiota, central and enteric nervous systems. Ann Gastroenterol. 2015;28(2):203-9.

9. O’Riordan KJ, Moloney GM, Keane L, Clarke G, Cryan JF. The gut microbiota–immune–brain axis: therapeutic implications. Cell Rep Med. 2025;6(3):101982.

10. Almonajjed MB, Wardeh M, Atlagh A, Ismaiel A, Popa SL, Rusu F, Dumitrascu DL. Impact of microbiota on irritable bowel syndrome pathogenesis and management: a narrative review. Medicina (Kaunas). 2025;61(1):109.

11. Chang L, Wei Y, Hashimoto K. Brain-gut-microbiota axis in depression: A historical overview and future directions. Brain Res Bull. 2022;182:44-56. https://doi.org/10.1016/j.brainresbull.2022.02.004

12. Liu L, Wang H, Chen X, Zhang Y, Zhang H, Xie P. Gut microbiota and its metabolites in depression: from pathogenesis to treatment. eBioMedicine. 2023;90:104527. https://doi. org/10.1016/j.ebiom.2023.104527

Aviso de derechos de autor

© 2025 Acta Gastroenterológica Latinoamericana. Este es un artículo de acceso abierto publicado bajo los términos de la Licencia Creative Commons Attribution (CC BY-NC-SA 4.0), la cual permite el uso, la distribución y la reproducción de forma no comercial, siempre que se cite al autor y la fuente original.

Cite este artículo como: García-Zermeño K R, AquinoMatus J E y Jiménez Pavón J y col. Utilidad de los neuromoduladores en la práctica clínica: visión del gastroenterólogo. Acta Gastroenterol Latinoam. 2025;55(4):303-316. https://doi.org/10.52787/agl.v55i4.533

13. Li Z, Bi T. Causal effects of gut microbiota, metabolites, immune cells, liposomes, and inflammatory proteins on anorexia nervosa: A mediation joint multi-omics Mendelian randomization analysis. J Affect Disord. 2025;368:343-58. https://doi. org/10.1016/j.jad.2024.09.115

14. Deng Y, Zhou M, Wang J, Yao J, Yu J, Liu W, Wu L, Wang J, Gao R. Involvement of the microbiota-gut-brain axis in chronic restraint stress: disturbances of the kynurenine metabolic pathway in both the gut and brain. Gut Microbes. 2021;13(1):1869501. https://doi.org/10.1080/19490976.202 0.1869501

15. Gawlik-Kotelnicka O, Burzyński J, Rogalski J, Skowrońska A, Strzelecki D. Probiotics may be useful for drug-induced liver dysfunction in patients with depression – A secondary analysis of a randomized clinical trial. Clin Nutr ESPEN. 2024;63:60414. https://doi.org/10.1016/j.clnesp.2024.07.1024

16. Xie Y, Zhu H, Yuan Y, Guan X, Xie Q, Dong Z. Baseline gut microbiota profiles affect treatment response in patients with depression. Front Microbiol. 2024;15:1429116. https://doi. org/10.3389/fmicb.2024.1429116

Utilidad de los neuromoduladores en la práctica clínica: visión del gastroenterólogo Karla Rocío García-Zermeño y col.

17. Gruenbaum BF, Merchant KS, Zlotnik A, Boyko M. Gut Microbiome Modulation of Glutamate Dynamics: Implications for Brain Health and Neurotoxicity. Nutrients. 2024;16:4405. https://doi.org/10.3390/nu16244405

18. Cheng J, Hu H, Ju Y, Liu J, Wang M, Liu B, Zhang Y. Gut microbiota-derived short-chain fatty acids and depression: deep insight into biological mechanisms and potential applications. Gen Psychiatry. 2024;37:e101374. https://doi.org/10.1136/gpsych2023-101374

19. Kukucka O, Ferencova N, Visnovcova Z, Ondrejka I, Hrtanek I, Kovacova V, Macejova A, Mlyncekova Z, Tonhajzerova I. Mechanisms Involved in the Link between Depression, Antidepressant Treatment, and Associated Weight Change. Int J Mol Sci. 2024;25(8):4511. https://pubmed.ncbi.nlm.nih. gov/38674096/

20. Nikolova VL, Smith MRB, Hall LJ, Cleare AJ, Stone JM, Young AH. Perturbations in gut microbiota composition in psychiatric disorders: a review and Meta-analysis. JAMA Psychiatry. 2021;78(12):1343-54.: https://doi.org/10.1001/jamapsychiatry.2021.2573

21. Borgiani G, Possidente C, Fabbri C, Oliva V, Bloemendaal M, Arias Vasquez A, Dinan TG, Vieta E, Menchetti M, De Ronchi D, Serretti A, Fanelli G. The bidirectional interaction between antidepressants and the gut microbiota: are there implications for treatment response? Int Clin Psychopharmacol. 2024;40(1):326. https://doi.org/10.1097/YIC.0000000000000533

22. Miller AH. Advancing an inflammatory subtype of major depression. Am J Psychiatry. 2025;182(6):516-24. https://pubmed. ncbi.nlm.nih.gov/40329642/

23. Frank P, Jokela M, Batty GD, et al. Association between systemic inflammation and individual symptoms of depression: a pooled analysis of 15 population-based cohort studies. Am J Psychiatry. 2021;178(12):1107-18. https://pubmed.ncbi.nlm. nih.gov/34645276/

24. Özçete ÖD, Banerjee A, Kaeser PS. Mechanisms of neuromodulatory volume transmission. Mol Psychiatry. 2024;29(11):368093. https://pubmed.ncbi.nlm.nih.gov/38789677/

25. Merighi A, Salio C, Ferrini F, Lossi L. Neuromodulatory function of neuropeptides in the normal CNS. J Chem Neuroanat. 2011;42(4):276-87. https://pubmed.ncbi.nlm.nih.gov/ 21385606/

26. Mearin F, Lacy BE, Chang L, Chey WD, Lembo AJ, Simren M, Spiller R. Bowel Disorders. Gastroenterology. 2016:S00 16-5085(16)00222-5. https://pubmed.ncbi.nlm.nih.gov/27 144627/

27. Lacy BE, Pimentel M, Brennan T, et al. ACG Clinical Guideline: Management of Irritable Bowel Syndrome. Am J Gastroenterol. 2021;116(1):17-44.

28. Luo Y, Keefer L. The Clinical value of brain-gut behavioral therapies for functional esophageal disorders and symptoms. Neurogastroenterol Motil. 2022;34(8):e14373.

29. Ford AC, Lacy BE, Harris LA, et al. Effect of antidepressants and psychological therapies in irritable bowel syndrome: an updated systematic review and meta-analysis. Am J Gastroenterol. 2019;114(1):21-39.

30. Ford AC, Wright-Hughes A, Alderson SL, et al. Amitriptyline at low-dose and titrated for irritable bowel syndrome as second-line treatment in primary care (ATLANTIS): a randomised, double-blind, placebo-controlled, phase 3 trial. Lancet. 2023;402(10414):1773-85.

31. Sobin WH, Heinrich TW, Drossman DA. Central neuromodulators for treating EIC functional GI disorders: a primer. Am J Gastroenterol. 2017;112(5):693-702.

32. Tack J, Janssen P, Masaoka T, Farré R, Van Oudenhove L. Efficacy of buspirone, a fundus-relaxing drug, in patients with functional dyspepsia. Clin Gastroenterol Hepatol. 2012;10(11):1239-45.

33. Tack J, Ly HG, Carbone F, et al. Efficacy of mirtazapine in patients with functional dyspepsia and weight loss. Clin Gastroenterol Hepatol. 2016;14(3):385-392.e4.

34. Keefer L, Ko CW, Ford AC. AGA Clinical Practice Update on Management of Chronic Gastrointestinal Pain in Disorders of Gut–Brain Interaction: Expert Review. Clinical Gastroenterology and Hepatology. 2021;19:2481-2488.e1. https://doi. org/10.1016/j.cgh.2021.07.006

35. Osborn DPJ, Petersen I, Beckley N, Walters K, Nazareth I, Hayes J. Weight change over two years in people prescribed olanzapine, quetiapine and risperidone in UK primary care: Cohort study in THIN, a UK primary care database. J Psychopharmacol. 2018;32:1098-103. https://doi.org/10.1177/0269881118780011

36. Haghbin H, Zakirkhodjaev N, Husain FF, Lee-Smith W, Aziz M. Risk of Gastrointestinal Bleeding with Concurrent Use of NSAID and SSRI: A Systematic Review and Network Meta-Analysis. Dig Dis Sci. 2023;68:1975-82. https://doi. org/10.1007/s10620-022-07788-y

37. Hanna-Jairala I, Drossman DA. Central Neuromodulators in Irritable Bowel Syndrome: Why, How, and When. American Journal of Gastroenterology. 2024;119:1272-84. https://doi.org/ 10.14309/ajg.0000000000002800

38. Wright-Hughes A, Ow PL, Alderson SL, Ridd MJ, Foy R, Bishop FL, et al. Predictors of response to low-dose amitriptyline for irritable bowel syndrome and efficacy and tolerability according to subtype: post hoc analyses from the ATLANTIS trial. Gut. 2025;74:728-39. https://doi.org/10.1136/GUTJNL2024-334490

39. Stanculete MF, Dumitrascu DL, Drossman DA. Neuromodulators in the Brain-Gut Axis: their Role in the Therapy of the Irritable Bowel Syndrome. Journal of Gastrointestinal and Liver Diseases. 2021;30:517-25. https://doi.org/10.15403/jgld-4090

40. Fornaro M, Cattaneo CI, De Berardis D, Ressico F V., Martinotti G, Vieta E. Antidepressant discontinuation syndrome: A stateof-the-art clinical review. European Neuropsychopharmacology. 2023;66:1-10. https://doi.org/10.1016/j.euroneuro.2022.10.005

41. Haskard Zolnierek KB, Dimatteo MR. Physician communication and patient adherence to treatment: A meta-analysis. Med Care. 2009;47:826-34. https://doi.org/10.1097/MLR.0b013e 31819a5acc

42. Palsson OS, Ballou S. Hypnosis and Cognitive Behavioral Therapies for the Management of Gastrointestinal Disorders. Curr Gastroenterol Rep. 2020;22(7):31.

43. Adler EC, Levine EH , Ibarra AN , Boparai ES, Hung YY, McCrary QD, et al. Hipnoterapia dirigida al intestino para el síndrome del intestino irritable: una revisión sistemática y un metaanálisis. Neurogastroenterol Motil. 2025;37(7):e70037. DOI:10.1111/nmo.7003

44. Roger AH, Gudleski GD, Quigley BM, Zvolensky MJ, Lackner JM. Catastrofización del dolor y resultados clínicos en pacientes que reciben una nueva terapia cognitivo-conductual para el síndrome del intestino irritable: un enfoque terapéutico experimental. Behav Ther. 2023;54(4):623-36. DOI:10.1016/j. beth.2023.01.004

Utilidad de los neuromoduladores en la práctica clínica: visión del gastroenterólogo Karla Rocío García-Zermeño y col.

45. Radu M, Moldovan R, Pintea S, Băban A, Dumitrașcu DL. Predictores de resultados en intervenciones cognitivas y conductuales para el síndrome del intestino irritable. Un metaanálisis. J Gastrointest Liver Dis. 2018;27(3):257-63. DOI:10.15403/ jgld.2014.1121.273.b

46. Wallén H, Lindfors P, Andersson E, Hedman-Lagerlöf E, Hesser H. Retorno de la inversión en terapia de exposición por internet para el síndrome del intestino irritable: un ensayo controlado aleatorizado. BMC Gastroenterol. 2021;21(1):289. DOI:10.1186/s12876-021-01867

47. Hasan SS, Pearson JS, Morris J, Whorwell PJ. Hipnoterapia por Skype para el síndrome del intestino irritable: efectividad y comparación con el tratamiento presencial. Int J Clin Exp Hypn. 2019;67(1):69-80. DOI:10.1080/00207144.2019.1553766

48. Császár-Nagy N, Bókkon I. Hipnoterapia y SII: ¿memoria de estrés implícita a largo plazo en el ENS ? Heliyón. 2023;9(1): e12751. DOI:10.1016/j.heliyon.2022.e1275

49. Lee HH, Choi YY, Choi MG. La eficacia de la hipnoterapia en el tratamiento del síndrome del intestino irritable: una revisión sistemática y metaanálisis. J Neurogastroenterol Motil. 30 de abril de 2014;20(2):152-62. DOI:10.5056/jnm.2014.20.2.152. PMID: 24840368; PMCID: PMC4015203.

50. Baboș CI, Leucuța DC, Dumitrașcu DL. Meditación y síndrome del intestino irritable: una revisión sistemática y un metaanálisis. J Clin Med. 2022;11(21):6516. DOI:10.3390/jcm11216516

Los procedimientos quirúrgicos para la enfermedad por reflujo gastroesofágico

Fundación Favaloro, Hospital Universitario. Ciudad Autónoma de Buenos Aires, Argentina.

Acta Gastroenterol Latinoam 2025;55(4):317-329

Recibido: 11/10/2025 / Aceptado: 09/12/2025 / Publicado online: 23/12/2025 / https://doi.org/10.52787/agl.v55i4.553

Resumen

La enfermedad por reflujo gastroesofágico representa una condición prevalente a nivel mundial con impacto significativo en la calidad de vida de los pacientes y una carga creciente para los sistemas de salud. En Argentina, se estima una prevalencia del 23% de síntomas típicos semanales, similar a lo reportado en otras regiones de Latinoamérica. Aunque la mayoría de los pacientes con esofagitis responden adecuadamente a los inhibidores de la bomba de protones, hasta un 30 a 40% de los casos puede mostrar una respuesta parcial o inadecuada, especialmente en aquellos con enfermedad no erosiva. En tal contexto, la cirugía es una alternativa válida y efectiva. Esta revisión tiene como objetivo analizar de manera actualizada y basada en evidencia, la evaluación funcional preoperatoria,

las técnicas quirúrgicas, la selección de los pacientes y la relación entre la enfermedad por reflujo gastroesofágico y condiciones especiales como obesidad o enfermedades reumatológicas.

Palabras claves. Enfermedad por reflujo gastroesofágico, cirugía antirreflujo, funduplicatura, hernia hiatal, cirugía laparoscópica, cirugía robótica.

Surgical Procedures in Gastroesophageal Reflux Disease

Summary

Correspondencia: Alejandro Nieponice Correo electrónico: anieponi@ffavaloro.org

Gastroesophageal reflux disease is a prevalent condition worldwide with a significant impact on patients' quality of life and a growing burden on healthcare systems. In Argentina, the prevalence of typical weekly symptoms is estimated at 23%, which is similar to rates reported in other Latin American regions. Although most patients with esophagitis respond adequately to proton pump inhibitors, up to 3040% of cases may show a partial or inadequate response, particularly among those with non-erosive disease. In such cases, surgery is a valid and effective alternative. The aim of this review is to provide an up-to-date, evidence-based analysis of preoperative functional evaluation, surgical techniques, patient selection, and the relationship between gastroesophageal reflux disease and special conditions such as obesity or rheumatological diseases.

Alternativas quirúrgicas para la enfermedad por reflujo gastroesofágico

Keywords. Gastroesophageal reflux disease, anti-reflux surgery, fundoplication, hiatal hernia, laparoscopic surgery, robotic surgical procedures.

Abreviaturas

ERGE: Enfermedad por reflujo gastroesofágico

IBP: Inhibidores de la bomba de protones.

CAR: Cirugía antirreflujo.

ADS: Arcada dentaria superior.

pHz: Ph-impedanciometria.

MARE: Manometría esofágica de alta resolución.

EEI: Esfínter esofágico inferior.

SEGD: Seriada esófago-gastro-duodenal.

FLIP: Functional luminal imaging probe.

ID: Índice de distensibilidad.

UEG: Unidad esofagogástrica.

TIF: Trans-oral incisionless fundoplication.

RYGB: By pass gástrico en Y de roux.

Introducción

La enfermedad por reflujo gastroesofágico (ERGE) es una patología de alta prevalencia que afecta significativamente la calidad de vida y representa una carga creciente para los sistemas de salud. Se estima que entre el 10 y el 30% de la población mundial presenta síntomas compatibles. En Argentina se reporta una prevalencia del 23% de síntomas típicos semanales.1, 2

El tratamiento inicial se basa en la indicación de modificaciones en el estilo de vida y en el uso de inhibidores de la bomba de protones (IBP), que resultan eficaces en la mayoría de los casos. Sin embargo, entre 30 y 40% de los pacientes puede presentar una respuesta parcial o insatisfactoria.3

La cirugía antirreflujo (CAR) constituye una alternativa válida para pacientes seleccionados, permitiendo mejorar el control sintomático y reducir la necesidad de un tratamiento prolongado.

Esta revisión analiza los criterios diagnósticos, las herramientas funcionales, las opciones quirúrgicas disponibles y los escenarios clínicos especiales que inciden en el abordaje actual de la ERGE.

Fisiopatología de la enfermedad por reflujo gastroesofágico

La fisiopatología de la ERGE es multifactorial y se centra en la disrupción de los mecanismos que conforman la barrera antirreflujo y en la exposición esofágica anormal al contenido gástrico o gastroduodenal. Los mecanismos fisiopatológicos principales incluyen:4

Disfunción del esfínter esofágico inferior (EEI)

● Las relajaciones transitorias del EEI constituyen el principal mecanismo de reflujo en los sujetos sin hernia hiatal. Son eventos vagales no relacionados con la deglución, fisiológicos, pero con frecuencia y duración aumentadas en los pacientes con ERGE.4

● En un subgrupo se observa la hipotonía del EEI, con una presión basal < 10 mmHg, que favorece la ocurrencia de episodios de reflujo por incompetencia del cierre esofagogástrico.4

Hernia hiatal

● La hernia hiatal en cualquiera de sus formas (por deslizamiento, paraesofágica o mixta gigante), contribuye al desacoplamiento del EEI respecto del diafragma crural, eliminando el efecto esfinteriano sinérgico. Esta condición reduce la longitud intraabdominal del EEI y altera el ángulo de His, disminuyendo la eficacia de la barrera valvular.

Alteración del aclaramiento esofágico

● El aclaramiento mecánico mediante la peristalsis secundaria y el aclaramiento químico mediado por la secreción salival y el bicarbonato pueden estar comprometidos, especialmente en los pacientes con trastornos motores esofágicos o hiposalivación, ya que prolongan la exposición esofágica al reflujo.

Composición del reflujo

● Si bien el ácido clorhídrico es el principal agresor, puede estar presente la exposición combinada a bilis, pepsina y enzimas pancreáticas, especialmente en pacientes con cirugía gástrica previa o en el reflujo mixto. Estos componentes tienen un efecto citotóxico sinérgico sobre el epitelio esofágico.

Diagnóstico

La confirmación objetiva de ERGE según criterios fisiológicos establecidos, como los propuestos en el Con-

Alejandro Nieponice y col.

Alternativas quirúrgicas para la enfermedad por reflujo gastroesofágico

senso de Lyon para pH-impedanciometría, cápsula de pHmetria inalambrica, videoendoscopia digestiva alta y manometría de alta resolución, son fundamentales antes de indicar una intervención quirúrgica antirreflujo.5 Es imprescindible una evaluación integral para confirmar el diagnóstico, definir el fenotipo fisiopatológico, descartar diagnósticos diferenciales, orientar el tipo de tratamiento indicado y evaluar si el paciente es candidato a una intervención quirúrgica.

Evaluación clínica inicial

El consenso de Montreal6 centra su análisis en la anamnesis para detectar síntomas típicos y atípicos de reflujo. Esto es de particular relevancia, ya que identifica síntomas como pirosis y regurgitación, asociados a mejor respuesta al tratamiento. La respuesta a IBP constituye un criterio clínico útil, aunque no específico ni suficiente para la selección quirúrgica. La regurgitación es, particularmente, el síntoma que mejor se controla con la cirugía antirreflujo. A su vez, en un 30 - 40% de los pacientes, la respuesta a IBP puede ser parcial por persistencia de regurgitación no ácida o por una alteración en la sensorialidad (hipersensibilidad al reflujo). Este grupo de pacientes, junto con los que presentan síntomas atípicos como tos crónica, disfonía o asma, son los que deben evaluarse exhaustivamente para definir el mejor tratamiento.3, 6, 7

Videoendoscopia digestiva alta

La endoscopía debe ser realizada en todos los pacientes con síntomas de reflujo, ya que permite:8

● Diagnosticar hernia hiatal.

● Pesquisar el esófago de Barrett.

● Evaluar la presencia de esofagitis erosiva (clasificación de Los Ángeles).

● Evaluar anatomicamente la unión gastroesofágica

● Detectar la presencia o no de residuos de alimento en esófago/estómago a pesar del ayuno.

● Descartar anillos o estenosis como consecuencia del reflujo.

● Descartar tumores esofágicos y gástricos.

Sin embargo, hasta un 70% de los pacientes con ERGE puede presentar una endoscopía normal, por lo que es mandatorio una evaluación funcional complementaria.5

Manometría esofágica de alta resolución (MARE)

Su realización previa a cualquier tratamiento quirúrgico tiene gran importancia. No diagnostica ERGE, pero, a partir de la Clasificación de Chicago en su cuarta versión, evalúa y diagnostica9 la funcionalidad la unión gastroesofágica (presión basal del EEI, tipo de unión gastroesofágica, relajación, integral contráctil).

• Peristalsis del cuerpo esofágico.

• Diagnóstico de trastornos motores asociados o independientes del reflujo (acalasia, espasmo esofágico distal, esófago hipercontractil, entre otros).

● Longitud esofágica, lo cual es un dato clave de cara a una cirugía por ERGE, ya que puede modificar la técnica a utilizar.

Además, permite localizar con precisión el EEI para el posicionamiento adecuado de la sonda de pH-impedanciometría.10

Además de su rol diagnóstico y de planificación, algunos estudios han explorado el valor pronóstico de ciertos parámetros manométricos respecto al éxito de la cirugía antirreflujo.11

De forma preliminar, se ha sugerido que:

● Una longitud del EEI ≥ 4 cm podría asociarse a una mayor probabilidad de resolución de síntomas típicos tras la funduplicatura.11

● Una presión basal del EEI relativamente elevada ( ≈ ≥ 19 mmHg) se ha vinculado, en algunos trabajos, con la mejoría de los síntomas atípicos.11

No obstante, estos hallazgos provienen de series retrospectivas y requieren validación en cohortes más amplias antes de considerarse criterios definitivos. Su interpretación debe hacerse en conjunto con el resto de la evaluación funcional y anatómica del paciente.

Monitoreo ambulatorio de reflujo

La exposición acido-patológica es el patrón de oro evaluada por monitoreo ambulatorio de reflujo (pHimpedanciometria de 24hs o capsula de pHmetria inalambrica de 96hs). Según los criterios propuestos en el Consenso de Lyon,5, 12 este estudio permite valorar:

● Tiempo de exposición ácida total.

● Número de episodios de reflujo.

● Reflujo ácido y no ácido.

Alejandro Nieponice y col.

Alternativas quirúrgicas para la enfermedad por reflujo gastroesofágico

● Episodios de eructos, rumiación y eructos supragástricos.

● Asociación temporal entre síntomas y eventos de reflujo.

● Impedancia basal nocturna media.

Estos parámetros facilitan diferenciar los pacientes con ERGE objetivable de aquellos con condiciones asociadas a la hipersensibilidad o pirosis funcional.13, 14

En situaciones de hernias hiatales mixtas gigantes con disrupción anatómica severa, la indicación quirúrgica suele estar más vinculada al riesgo mecánico (volvulación, atascamiento) o a síntomas graves (disfagia, aspiraciones nocturnas) que a la documentación fisiopatológica de ERGE, por lo que el estudio puede no ser imprescindible.15

Valor pronóstico de la pH-impedanciometría de 24hs

Algunos estudios sugieren que determinados parámetros podrían asociarse con una mayor probabilidad de obtener un buen resultado tras la cirugía antirreflujo: 16, 17

● Probabilidad de asociación sintomática (PAS) positivo (> 95 %), que refleja una relación temporal estrecha entre los episodios de reflujo y los síntomas.16, 17

● Exposición ácida aumentada, expresada por un tiempo con pH < 4 que supera los umbrales considerados patológicos (≈ 10 – 12% en 24 h) o un índice de DeMeester elevado. Ciertos trabajos han mostrado correlación con mejores desenlaces.16,17

● Síntomas típicos (pirosis, regurgitación) concomitantes con hallazgos objetivos de reflujo patológico parecen reforzar la predicción de beneficio quirúrgico.16, 17

Otros parámetros, como el número total de episodios de reflujo, la proporción de eventos proximales o el índice sintomático, no han demostrado una asociación consistente con la respuesta postoperatoria.16

En definitiva, la pH-impedanciometría de 24 h no solo aporta criterios diagnósticos, sino que también puede orientar la selección quirúrgica. No obstante, la magnitud de su valor predictivo sigue siendo objeto de debate, y los hallazgos deben interpretarse en conjunto con la clínica y la anatomía de cada paciente.

Los sistemas digitales portátiles o cápsulas inalámbricas (Bravo™) permiten cuantificar la exposición ácida mediante un registro prolongado de pH de hasta 96 horas. Aunque su disponibilidad en Latinoamérica

Alejandro Nieponice y col.

aún es limitada, resultan especialmente útiles en pacientes con estudios de pH-impedanciometría de 24 horas con valores borderline o dentro de rangos fisiológicos, pero con síntomas compatibles con ERGE. El monitoreo extendido reduce la variabilidad día a día, mejora la tolerancia y aceptación por parte del paciente, y aumenta la sensibilidad diagnóstica.5, 12

Seriada esófago-gastro-duodenal

La seriada esófago-gastro-duodenal (SEGD) no constituye una herramienta diagnóstica de elección para confirmar la enfermedad por reflujo gastroesofágico, dado que no permite cuantificar la exposición ácida.

Sin embargo, puede resultar útil en la evaluación preoperatoria de inicio o en pacientes en los que estamos considerando una intervención para descartar patología estructural (estenosis, esófago corto, hernia hiatal), para definir la anatomía del hiato y del esófago distal, y evaluar el aclaramiento esofágico.18

En este contexto, la SEGD se emplea de forma complementaria a los estudios funcionales, aportando información morfológica que puede modificar la técnica a seleccionar.18

Planimetría por impedancia

En las guías AGA y Consenso de Dallas de 2025, se describe que la sonda de imagen de luz funcional (FLIP) constituye una herramienta diagnóstica valiosa en la práctica clínica, especialmente en el contexto de las intervenciones quirúrgicas del tracto digestivo superior, aunque es fundamental comprender que no debe emplearse para diagnosticar ERGE ni para determinar la necesidad de una intervención antirreflujo.19, 20

Los estudios sobre la función de barrera de la unión esofagogástrica en la ERGE no han logrado establecer un umbral discriminatorio claro para el índice de distensibilidad (ID) de la union esofago-gastrica (UEG) que permita diferenciar la ERGE sintomática de los controles.19, 20

A pesar de esta limitación diagnóstica y prequirúrgica para la ERGE, la planimetría tiene utilidad tanto en el intraoperatorio como en la evaluación posterior a la cirugía antirreflujo.

Utilidad Intraoperatoria

Durante la cirugía antirreflujo (CAR) y los procedimientos endoscópicos para el reflujo, la FLIP intraoperatoria es factible. El ID ha sido estudiado en un intento de prevenir la disfagia postoperatoria. Se

Alternativas quirúrgicas para la enfermedad por reflujo gastroesofágico

reporta que un ID de la UEG inferior a 2 mm ²/mm Hg después de la CAR se asocia con síntomas de disfagia y se nota que el cierre de los pilares del diafragma parece tener un impacto mayor en el ID que la propia funduplicatura. 19

Se han propuesto rangos ideales de ID de la UEG para funduplicaturas específicas, como 2,6 – 3,7 mm²/mm Hg para Toupet y > 2,2 mm²/mm Hg para Nissen. Estos rangos tienen el potencial de guiar la toma de decisiones intraoperatorias, permitiendo ajustar la funduplicatura. No obstante, algunos estudios con FLIP intraoperatoria no han encontrado diferencias significativas en los seguimientos de hasta dos años.19

Utilidad

Postoperatoria

La FLIP puede ser considerada en la evaluación de síntomas persistentes de obstrucción esofágica (como disfagia, regurgitación de tipo esofágico y/o dolor torácico relacionado con las comidas) después de una intervención antirreflujo. Es una herramienta crucial para investigar la disfagia post-funduplicatura, ya que puede evaluar la obstrucción de la UEG y dirigir el tratamiento mediante dilatación, con buenos resultados sintomáticos reportados. Además, puede identificar una peristalsis secundaria anormal en el 84% de los pacientes sintomáticos después de una CAR, la cual podría empeorar con una mayor duración post-CAR y/o resistencia al flujo de salida de la UEG.

En conclusión, aunque la FLIP no diagnostica directamente la ERGE, su valor reside en la caracterización detallada de la función esofágica y de la UEG antes, durante y después de las intervenciones del tracto digestivo superior, lo que la convierte en una herramienta para optimizar los resultados quirúrgicos y manejar eficazmente las complicaciones obstructivas.19

Tratamiento quirúrgico de la ERGE

La cirugía antirreflujo se considera indicada en los pacientes con diagnóstico confirmado por cualquiera de los puntos establecidos en Consenso de Lyon5 con:

● Respuesta parcial a IBP (regurgitación severa no controlada con IBP o síntomas persistentes) o intolerancia/contraindicación a estos fármacos.

● Complicaciones estructurales (Barrett, estenosis pépticas, etc.).

● Preferencia de evitar tratamiento médico.

En la literatura no existe una definición universal -

Alejandro Nieponice y col.

mente aceptada de "éxito" para la cirugía antirreflujo. Comúnmente, se consideran varios indicadores:

● Remisión sintomática sostenida sin necesidad de IBP.

● Mejoría objetiva de la exposición ácida por pHimpedanciometría de 24hs o VEDA que evidencie remisión de esofagitis sin IBP.

● Satisfacción del paciente, utilizada por su valor práctico: se reportan tasas entre el 80 – 96% post-funduplicatura laparoscópica en términos de mejoría de calidad de vida y disminución de síntomas (GERDHRQL, Visick Score).21, 22

Tanto los parámetros subjetivos como los objetivos se deben interpretar en conjunto para evaluar el éxito real del procedimiento. Las distintas alternativas con sus ventajas y limitaciones se encuentra resumida en la Tabla 1.

El estudio LOTUS, publicado en 2011, es un ensayo clínico aleatorizado y multicéntrico que abarca 11 países europeos en el que se investigó la eficacia a largo plazo de esomeprazol vs. funduplicatura. Los investigadores compararon las tasas de remisión y la prevalencia de síntomas entre los dos grupos durante un período de cinco años. Los hallazgos sugieren que ambas opciones son efectivas para mantener a los pacientes en remisión. Al analizar por síntoma señalaron que a 5 años la acidez y la regurgitación ácida están presentes con mayor frecuencia en el grupo con esomeprazol, y la disfagia/bloating en el grupo funduplicatura.23 Como dato importante, en este ensayo, si bien se enfatiza la estandarización de la técnica para obtener buenos resultados, no se especifica qué tipo de funduplicatura fue utilizada para el análisis. Como veremos más adelante, dentro de las funduplicaturas hay distintos efectos adversos reportados para cada una de ellas.

Funduplicaturas: Principios, técnicas y resultados

Las funduplicaturas consisten en envolver el fundus gástrico alrededor del esófago distal para aumentar la presión del esfínter esofágico inferior y restaurar la barrera antirreflujo (Figuras 1 a b c).

La elección de la técnica debe basarse en el conocimiento anatómico, funcional y en la evidencia clínica que respalde su eficacia y seguridad. La obesidad, la presencia de hernia hiatal y su tamaño, asociado a la longitud esofágica intraabdominal, son factores de riesgo bien conocidos para la recidiva de la hernia hiatal/ ERGE en el corto a mediano plazo.

Alternativas quirúrgicas para la enfermedad por reflujo gastroesofágico

Tabla 1. Opciones terapéuticas en ERGE

Técnica / Tratamiento Ventajas

IBP

Funduplicatura

Alejandro Nieponice y col.

Limitaciones / Contras

Alta eficacia en control de pirosis típica; No corrigen la fisiopatología de la barrera antirreflujo; fácil disponibilidad; amplia evidencia. dependencia crónica; efectos adversos a largo plazo; no controlan adecuadamente la regurgitación, síntoma persistente en hasta un tercio de los pacientes.

Gold standard quirúrgico; control ácido y de Riesgo de disfagia persistente, gas-bloat, incapacidad síntomas como regurgitación; amplia experiencia de eructar/vomitar; resultados variables según técnica y evidencia; durabilidad > 10 años. (Nissen, Toupet, Dor); irreversibilidad relativa.

LINX® Menos invasivo que funduplicatura; preserva Implante permanente; disfunción o erosión capacidad de eructo/vómito; reversible; poco frecuentes pero graves; contraindicado mejora tanto pirosis como regurgitación; en alergia a metales; no indicado datos con seguimiento > 5 años. en hernia hiatal grande.

RefluxStop®

EndoStim®

Preserva anatomía y funciones fisiológicas; Evidencia limitada; migración y expulsión del baja tasa de disfagia en reportes; altas tasas dispositivo; estudios financiados por la industria; de suspensión de IBP en series cortas; no validado en guías; seguimiento a corto plazo. mejora reportada de regurgitación.

Neuromodulación fisiológica; preserva

Estudios pequeños y abiertos; necesidad de implante anatomía y funciones; dispositivo explantable subcutáneo; fallas técnicas y explantación reportadas; o desactivable; mejora reportada de pirosis aún sin ensayos randomizados de gran escala; no incluido y regurgitación parcial. en guías; efecto sobre regurgitación menos consistente que cirugía.

Las técnicas más empleadas incluyen:

● Funduplicatura de Nissen (360°): Técnica de envoltura total que ofrece un control sintomático exitoso. Puede asociarse a una mayor incidencia de disfagia postoperatoria (Figura 1)

● Funduplicatura de Toupet (270° posterior): Técnica de envoltura parcial que reporta éxito sintomático y de recidiva comparables a la funduplicatura de Nissen, con menor disfagia postoperatoria (Figura 2).

Figura 1. Funduplicatura de Nissen laparoscópica

Se observan los puntos de sutura, uniendo ambas partes del fondo gástrico y generando un wrap 360° en cara anterior esofágica.

2. Funduplicatura de Toupet robótica

Se observan los puntos de sutura que unen ambas partes del fondo gástrico y generan un wrap 270° en las caras laterales esofágicas, dejando su cara anterior libre.

● Funduplicatura Collis-Nissen: Técnica aplicada fundamentalmente en el esófago corto para aumentar la longitud intraabdominal. Su uso es más debatido debido a la variabilidad en las indicaciones, la complejidad técnica y los resultados. Algunos estudios muestran un control sintomático comparable a la técnica

Figura

Alternativas quirúrgicas para la enfermedad por reflujo gastroesofágico

de Nissen estándar, pero con mayor morbimortalidad. Su indicación debe ser estricta y reservada para casos específicos.

En conclusión, la cirugía antirreflujo laparoscópica presenta tasas de éxito sintomático en el 80 a 90% de los casos, una recurrencia clínica del 10 - 18% y recidivas que requiere reoperaciones en 3 a 7% de los pacientes, si bien estos rangos se acotan a la baja en aquellos centros de alto volumen de pacientes y experiencia. La centralización quirúrgica es un factor clave para optimizar

Alejandro Nieponice y col.

los resultados, minimizar las complicaciones y reducir las tasas de falla.23

La elección de la técnica quirúrgica debe personalizarse según el perfil funcional del paciente y sus características anatómicas, priorizando la eficacia y minimizando los efectos adversos como la disfagia. Hoy en día, los ensayos clínicos randomizados respaldan la funduplicatura tipo Toupet como primera línea de tratamiento quirúrgico, por presentar el mismo control de reflujo con menor morbilidad postoperatoria que la funduplicatura de Nissen (Tabla 2).

Autor (Año) N Evaluación preoperatoria Seguimiento Control Morbilidad Observaciones (FN/FT) * y postoperatoria (años) ERGE (disfagia/bloating)

Lundell (1996) 137 VEDA, MARE y 5

Equivalente Mayor en Nissen Fracaso de Nissen (65/72) pH-metría por herniación (p < 0,05)

Laws (1997) 39 MARE y score 2

Equivalente No informado Sin ventaja entre funduplicatura (23/16) Visick parcial o total

Booth (2006) 127 MARE, pH-metría 1

Equivalente Mayor en Nissen División en grupos aleatorios (64/63) y encuesta según MARE. Elección de técnica no condicionada por motilidad

Guérin (2007) 140 Cuestionario 3

Equivalente Similares Pacientes con motilidad (77/63) síntomas anormal no randomizados

Strate (2008) 200 VEDA, MARE, 2

Equivalente Mayor en Nissen Cada grupo, se dividió en 50 (100/100) pH-metría con y sin dismotilidad 50. y encuesta No hubo diferencias en complicaciones relacionadas a motilidad

Shaw (2010) 100 MARE y pH-metría 4

Equivalente Similares Funduplicaturas igual eficacia; (50/50) motilidad irrelevante

Koch (2013) 125 GERD-QoL (objetivo primario); 3

Equivalente Mayor en Nissen Toupet preferible por menor (63/65) pH-impedanciometría y morbilidad postoperatoria manometría (secundarios)

Wang (2015) 80 Score Visick, pH-metría 2

Equivalente Mayor disfagia Excluyó pacientes con (40/40) y manometría en Nissen DeMeester post-op menor Bloating sin en LNF; LESP post-op diferencias mayor en LNF; peristalsis mejor tras LTF dismotilidad;

* FN/FT: Funduplicatura Nissen/Funduplicatura Toupet.

Tabla 2. Estudios randomizados Nissen vs Toupet

Alternativas quirúrgicas para la enfermedad por reflujo gastroesofágico

En 2016 Du et al. , publicaron un metaanálisis englobando los estudios randomizados; los hallazgos sugieren que ambos procedimientos ofrecen un control igualmente bueno de la ERGE y una satisfacción similar del paciente. Aunque la funduplicatura de Nissen se asocia con un tiempo quirúrgico más corto (probablemente relacionada a la popularidad de esta técnica) y una mayor presión postoperatoria del esfínter esofágico inferior, también presenta una mayor incidencia inicial de disfagia, distensión por gases e incapacidad para eructar, principalmente en el primer año postoperatorio. 24 Es propio mencionar que la estandarización de la técnica de funduplicatura presenta múltiples desafíos, inherentes a quién realiza la cirugía y la anatomía propia de cada paciente, por lo que se debe ser riguroso a la hora de analizar dichos reportes.

Dispositivo LINX® (Magnetic Sphincter Augmentation, MSA)

El LINX consiste en un anillo magnético de titanio implantado laparoscópicamente alrededor del EEI. La tensión magnética mantiene cerrado el EEI en reposo y permite su apertura durante la deglución o la eructación, preservando de manera fisiológica el tránsito esofagogástrico.25

Evidencia y resultados reportados:

● Eficacia clínica: múltiples series prospectivas y algunos registros multicéntricos han mostrado tasas de control sintomático de ERGE en torno al 80 – 90% a 5 años, con reducción significativa en la puntuación GERD-HRQL y en el uso de IBP; a su vez, estudios con pH-impedanciometría en el seguimiento demuestran una mejoría en la exposición ácida esofágica comparable con la funduplicatura.26, 27

● Seguridad y complicaciones: la principal limitación es la disfagia postoperatoria, que aparece hasta en el 40% en el corto plazo, pero suele resolverse en la mayoría de los casos con dilataciones o espontáneamente; menos del 5 al 7% requieren la explantación del dispositivo. La erosión, si bien es una complicación severa, se reporta en menos del 1,5% de las series disponibles. 27

Actualmente no se dispone de estudios randomizados de alto volumen de pacientes que permitan comparar los resultados de LINX contra funduplicaturas. Los que se encuentran disponibles, lo comparan con la

funduplicatura de Nissen, en donde se objetiva la superioridad del LINX en términos de bloating, capacidad de eructar y vomitar.2 Como se mencionó anteriormente, estos efectos ya eran superiores en la funduplicatura de Toupet, por lo que se necesitan cohortes randomizadas de estas dos técnicas y de mayor volumen para llegar a una conclusión categórica.

A su vez, en pacientes con hernias hiatales grandes, esófago corto o alteraciones de la motilidad, la disfagia preoperatoria a LINX impresiona ser mayor, es por esto que las guías internacionales, por ejemplo, SAGES 2021, reconocen el LINX como una alternativa válida en pacientes seleccionados con ERGE demostrada, refractaria a IBP y anatomía favorable, pero no lo recomiendan como sustituto universal de la funduplicatura. 29

Reparación hiatal concomitante más funduplicatura transoral sin incisión (cTIF) en la enfermedad por reflujo gastroesofágico

El procedimiento combina la reparación crural convencional -con cierre posterior del hiato bajo visión laparoscópica- con una reconstrucción endoluminal de la válvula gastroesofágica mediante el dispositivo EsophyX®. Esta técnica permite una funduplicatura parcial interna de aproximadamente 270° y 3 cm de longitud, utilizando anclajes transmucosos y sin disección extensa del fundus.30

De esta forma, el cTIF intenta reproducir los principios de la funduplicatura parcial, con menor tensión mecánica y menor distorsión anatómica, preservando la capacidad de ventilar gas y deglutir de manera fisiológica.31

Resultados clínicos

La evidencia publicada específicamente sobre cTIF, aunque limitada, sugiere resultados prometedores. Chang et al. reportaron una serie de 60 pacientes con hernias hiatales promedio de 2,9 cm que recibieron reparación quirúrgica del hiato más TIF en la misma sesión. A los seis meses, los cuestionarios validados de síntomas de reflujo mostraron una mejora significativa, con puntuaciones de frecuencia y severidad que pasaron de 17,4 -16 a 4 -5, y una reducción drástica en la exposición ácida distal medida por pH a 1,28% postoperatorio. Ningún evento adverso grave fue documentado, y en la mayoría de los pacientes se logró discontinuar los IBP.31

Un análisis sistemático reciente que incluyó siete

Alejandro Nieponice y col.

Alternativas quirúrgicas para la enfermedad por reflujo gastroesofágico

estudios observacionales con un total de 306 pacientes mostró que la tasa mediana de abandono de IBP tras cTIF fue del 73,8%, con mejoras significativas en los cuestionarios de calidad de vida. Las complicaciones fueron bajas (4,4%), con incidencias de disfagia y bloating de 5,3% y 6,9%, respectivamente, aunque se reconocen limitaciones importantes en los estudios, como su heterogeneidad y un seguimiento principalmente a corto y mediano plazo.32

El tratamiento cTIF ha demostrado factibilidad y eficacia incluso en pacientes con hernias paraesofágicas gigantes. Gergen et al. reportaron 12 casos con hernias de aproximadamente 5 cm, en los que se combinó reparación quirúrgica con TIF; todos los pacientes refirieron una resolución completa de los síntomas, en algunos casos con endoscopía y pruebas de pH confirmando la presencia de una válvula intacta y la ausencia de reflujo ácido a los seis meses. La morbilidad funcional fue mínima, con un solo paciente que requirió dilatación por disfagia y sin reportes de gas-bloat. 33 Estudios adicionales en cohortes más grandes, de hasta 334 pacientes, corroboran estas tendencias, mostrando la reducción del uso de IBP, mejoría en los cuestionarios de síntomas y una baja necesidad de reintervención.34

La literatura específica sobre cTIF permite argumentar científicamente la opción de no realizar funduplicatura convencional en pacientes que ya se encuentran en quirófano con el hiato reparado. La combinación de reparación del hiato y TIF logra resultados sintomáticos comparables al control esperado con la funduplicatura, pero con menor incidencia de disfagia persistente y gas - bloat . Además, el procedimiento respeta la anatomía del fundus y minimiza la manipulación de vasos cortos, reduciendo los riesgos intraoperatorios. La experiencia publicada indica que, si fuese necesario, la conversión a funduplicatura parcial o total sigue siendo factible, lo que permite una estrategia escalonada que prioriza inicialmente la preservación funcional. 31,32

A pesar de estos resultados alentadores, la evidencia presenta limitaciones. La mayoría de los estudios tiene seguimiento corto-medio, la heterogeneidad de criterios de inclusión dificulta hacer extrapolaciones, y aún no existen ensayos aleatorizados comparativos a largo plazo frente a funduplicaturas clásicas. La selección adecuada del paciente y la experiencia del equipo quirúrgico son fundamentales, así como la documentación preoperatoria y la planificación intraoperatoria. En consecuencia, cTIF emerge como una alternativa prometedora para pacientes seleccionados, ofrecien -

do una opción menos invasiva desde el punto de vista funcional, con resultados sintomáticos significativos y baja morbilidad, aunque la funduplicatura convencional sigue siendo la intervención con evidencia más robusta a largo plazo.

RefluxStop®

El dispositivo Reflux Stop® consiste en un implante de polímero de silicona fijado en el fundus gástrico en forma previa a la reparación hiatal y la reconstrucción del ángulo de His (Figura 3), cuyo objetivo es restaurar la competencia antirreflujo mediante la prevención del desplazamiento del fundus y el esófago distal a través del hiato.35

Imagen extraída de la página web oficial de RefluxStop™.

A diferencia de la funduplicatura, no implica una compresión circunferencial del esófago, lo que teóricamente preserva funciones fisiológicas como eructar y vomitar, y reduce la incidencia de disfagia postoperatoria.

Estudios prospectivos europeos han reportado tasas de suspensión de IBP superiores al 90% a dos años, con mejoría significativa en los cuestionarios de calidad de vida. En pocas ocasiones fueron documentados eventos adversos graves, como migración aguda al tórax y eliminación del dispositivo por vía natural.36

Se debe mencionar que muchos de los estudios reportando tasas de éxitos superiores al 90% se encuentran financiados por la industria y la mayoría de las se-

Alejandro Nieponice y col.
Figura 3. Esquema de sistema Reflux Stop® in situ
A. Dispositivo Reflux Stop®. Flechas: Fondo gástrico con suturas que contienen el dispositivo colocado. B. Reconstrucción del ángulo de His.

Alternativas quirúrgicas para la enfermedad por reflujo gastroesofágico

ries reportadas presentan un tamaño muestral limitado y seguimiento a corto plazo, por lo que no se encuentra actualmente aceptado en las guías de práctica clínica. Por tales motivos es necesario contar con estudios randomizados de mayor tamaño muestral. Por el momento, debe considerarse como una tecnología emergente con evidencia insuficiente para reemplazar a las técnicas estándar.

EndoStim®

El sistema EndoStim® es una terapia de neuromodulación que utiliza un generador implantable subcutáneo conectado a electrodos fijados en la musculatura del esfínter esofágico inferior (Figura 4). Su objetivo es incrementar la presión basal del esfínter mediante pulsos eléctricos intermitentes, manteniendo la relajación fisiológica. La técnica se realiza por vía laparoscópica, con posibilidad de reparación hiatal concomitante cuando es necesario.

Alejandro Nieponice y col.

han mostrado una reducción significativa del tiempo de exposición ácida, mejoría de la calidad de vida y tasas de suspensión de IBP de 60 – 80% a 2 – 3 años de seguimiento.37, 38

Los efectos adversos incluyen infecciones del generador, fallas técnicas y necesidad de explantación en un número limitado de pacientes. No obstante, la mayoría de los estudios disponibles son abiertos, con bajo número de pacientes y seguimiento intermedio, frecuentemente con apoyo de la industria. Aún no están publicados ensayos randomizados de gran escala, y la técnica no figura en las guías clínicas internacionales como opción estándar. En la actualidad, EndoStim® debe considerarse una alternativa en investigación, con resultados iniciales alentadores en pacientes seleccionados, pero con evidencia insuficiente para recomendar su uso generalizado.

Manejo de la recidiva y condiciones especiales

Se observan los electrodos colocados a nivel del EEI (Flechas) y el dispositivo modulador implantado en el plano subcutáneo (A). Imagen extraída de la página web oficial de EndoStim®

A diferencia de la funduplicatura, no crea una barrera mecánica ni modifica de forma permanente la anatomía, lo que reduce la incidencia de síntomas obstructivos y permite, en caso de complicaciones, desactivar o retirar el dispositivo. Series prospectivas multicéntricas

La recidiva tras funduplicatura continúa siendo un desafío clínico-quirúrgico, cuya interpretación debe distinguir entre recurrencia clínica y verdadero fracaso quirúrgico. En pacientes no obesos, sin cirugías múltiples previas y con anatomía favorable, la re-funduplicatura laparoscópica constituye una opción válida, con buenos resultados sintomáticos y menor morbilidad que las alternativas derivativas.

ERGE y cirugía bariátrica

La obesidad es un factor de riesgo establecido para el desarrollo y la persistencia ERGE. El aumento de la presión intraabdominal, la disfunción del EEI y la presencia frecuente de hernia hiatal contribuyen a una mayor incidencia y gravedad del reflujo en esta población, que a su vez responde menos favorablemente al tratamiento médico.39, 40

La gastrectomía en manga, pese a su amplia difusión como técnica bariátrica, se asocia con una incidencia relevante de ERGE de novo o empeoramiento del reflujo preexistente.41 Los mecanismos incluyen el aumento de la presión intragástrica, la pérdida del ángulo de His y la alteración de la motilidad gástrica. Diversas series y metaanálisis reportan tasas de nuevo reflujo entre 20 y 40%, con progresión a esofagitis en un subgrupo significativo de pacientes.39, 41 Por ello, se recomienda cautela en la indicación de manga en pacientes con reflujo documentado y, en presencia de esofagitis severa o síntomas significativos, optar preferentemente por el bypass gástrico en Y de Roux (RYGB).39, 41, 42

Figura 4. Dispositivo Endostim

Alternativas quirúrgicas para la enfermedad por reflujo gastroesofágico

Existen técnicas experimentales que combinan la manga gástrica con una funduplicatura parcial para mitigar el reflujo, pero la evidencia aún es preliminar y no se recomienda su uso fuera de ensayos clínicos controlados.

En contraste, en pacientes obesos, con múltiples fracasos previos o anatomía distorsionada, el RYGB ofrece una solución más robusta: controla de manera efectiva el reflujo, desvía el contenido biliar y reduce la acidez gástrica, a la vez que corrige factores anatómicos de riesgo. 42 Su eficacia está bien documentada en la obesidad con ERGE refractaria y en contextos de fracaso repetido de funduplicatura, aunque a costa de mayor complejidad técnica y morbilidad. 41 La derivación tipo Y de Roux está indicada principalmente en dos contextos:

1. Pacientes con reflujo sintomático a pesar del tratamiento médico con IMC mayor a 30 como indicación relativa y mayor a 35 como indicación absoluta

2. Pacientes con fracaso de funduplicatura previa en más de dos oportunidades y persistencia de síntomas a pesar del tratamiento con IBP o con evidencia

ERGE y condiciones especiales

La motilidad esofágica alterada y las enfermedades del tejido conectivo requieren un abordaje particularmente cuidadoso que es tratado en el Consenso de ICARUS publicado en 2019. En la esclerodermia y otras colagenopatías sistémicas, que presentan disfagia como síntoma intrínseco, motilidad esofágica inefectiva o aperistalsis esofágica que compromete el aclaramiento de reflujo, la funduplicatura es una opción que debe ser evaluada con rigurosidad por la posibilidad de disfagia severa llegando a un 70% de disfagia en algunas series. 40

Asimismo, en pacientes con trastornos motores severos no asociados a colagenopatía, se aplica el mismo principio: no indicar rápidamente la funduplicatura y considerar terapias alternativas como el RYGB. La evidencia, aunque limitada, muestra que estos enfoques disminuyen la incidencia de disfagia postoperatoria con adecuado control del reflujo.39, 40

Conclusión

La enfermedad por reflujo gastroesofágico requiere un abordaje diagnóstico riguroso que permita seleccionar adecuadamente a los candidatos a cirugía. La

valoración funcional preoperatoria aporta parámetros con valor pronóstico demostrado: una exposición ácida claramente patológica, un índice de DeMeester elevado, la presencia de síntomas típicos concordantes y una probabilidad de asociación sintomática positiva son predictores consistentes de buena respuesta quirúrgica. Asimismo, ciertos indicadores manométricos -como una longitud adecuada del EEI y presiones basales conservadas- pueden reforzar la expectativa de éxito, aunque requieren validación adicional.

En el ámbito intraoperatorio y postoperatorio, la planimetría de impedancia (FLIP) adquiere relevancia como herramienta para optimizar la calibración de la unión esofagogástrica y reducir la incidencia de disfagia, contribuyendo así a mejorar los resultados funcionales globales. Aunque no constituye un predictor prequirúrgico formal, su uso adecuado favorece la calidad y durabilidad del procedimiento.

La funduplicatura laparoscópica continúa siendo el estándar terapéutico más sólido, mientras que técnicas emergentes como LINX®, cTIF, RefluxStop® y EndoStim® ofrecen alternativas prometedoras en pacientes seleccionados, pero aún con evidencia limitada a largo plazo. La selección individualizada de la técnica -basada en el fenotipo fisiopatológico, anatomía hiatal, motilidad esofágica y comorbilidades como obesidad o colagenopatías- es esencial para optimizar resultados y minimizar complicaciones.

En conclusión, el manejo contemporáneo de la ERGE combina un diagnóstico objetivo, la integración de predictores de respuesta y una estrategia quirúrgica personalizada, permitiendo maximizar la eficacia terapéutica y asegurar resultados duraderos en el control del reflujo. Propiedad intelectual. Los autores declaran que los datos, las tablas y las figuras presentes en el manuscrito son originales y se realizaron en sus instituciones pertenecientes.

Financiamiento. Los autores declaran que no hubo fuentes de financiación externas.

Conflictos de interés. Los autores declaran no tener conflictos de interés en relación con este artículo.

Alejandro Nieponice y col.

Alternativas quirúrgicas para la enfermedad por reflujo gastroesofágico

Aviso de derechos de autor

© 2025 Acta Gastroenterológica Latinoamericana. Este es un artículo de acceso abierto publicado bajo los términos de la Licencia Creative Commons Attribution (CC BY-NC-SA 4.0), la cual permite el uso, la distribución y la reproducción de forma no comercial, siempre que se cite al autor y la fuente original

Cite este artículo como: David Solinas D, Ramirez M y Nieponice A. Revisión sobre los procedimientos quirúrgicos para la enfermedad por reflujo gastroesofágico. Acta Gastroenterol Latinoam. 2025;55(4):317-329. https://doi. org/10.52787/agl.v55i4.533

Referencias

1. Olmos JA, Pandolfino JE, Piskorz MM, et al. Latin American consensus on diagnosis of gastroesophageal reflux disease. Neurogastroenterol Motil. 2024;36(3):e14735. DOI:10.1111/ nmo.14735

2. Eusebi LH, Ratnakumaran R, Yuan Y, Solaymani-Dodaran M, Bazzoli F, Ford AC. Global prevalence of, and risk factors for, gastro-oesophageal reflux symptoms: A meta-analysis. Gut. 2018;67(3):430-40.

3. El-Serag HB, Sweet S, Winchester CC, Dent J. Update on the epidemiology of gastro-oesophageal reflux disease: a systematic review. Gut. 2014;63(6):871-880.

4. Tack J, Pandolfino JE. Pathophysiology of gastroesophageal reflux disease: new understanding in a new era. Neurogastroenterol Motil. 2018;30(1):e13246.

5. Gyawali CP, Yadlapati R, Fass R, et al. Updates to the modern diagnosis of GERD: Lyon consensus 2.0. Gut. 2024;73(2):361371. DOI:10.1136/gutjnl-2023-330616

6. Vakil N, Van Zanten S V, Kahrilas P, Dent J, Jones R, Bianchi LK, et al. The Montreal definition and classification of gastroesophageal reflux disease: A global evidence-based consensus. Am J Gastroenterol. 2006;101(8):1900-20.

7. Katz PO, Dunbar KB, Schnoll-Sussman FH, Greer KB, Yadlapati R, Spechler SJ. ACG Clinical Guideline for the Diagnosis and Management of Gastroesophageal Reflux Disease. Am J Gastroenterol. 2022;117(1):27-56.

8. Nguyen NT, Thosani NC, Canto M, Lipham J, Abu Dayyeh B, Wilson E, Muthusamy V, Clarke J, Bell R, Janu P, Swanstrom L, Runge A, Kahrilas PJ. The American Foregut Society White Paper on the Endoscopic Classification of Esophagogastric Junction Integrity. Foregut. 2022;2(4):1-12. DOI:10.1177/26345161221126961

9. Yadlapati R, Kahrilas PJ, Fox MR, Bredenoord AJ, Gyawali CP, Roman S, et al. Esophageal motility disorders on high-resolution manometry: Chicago classification version 4.0. Neurogastroenterol Motil. 2021;33(1):e14058. DOI: 10.1111/ nmo.14058

Acta Gastroenterol Latinoam 2025;55(4):317-329

Alejandro Nieponice y col.

10. Gyawali CP, Rogers BD, Frazzoni M, Savarino E, Sifrim D, Yadlapati R, et al. The role of high-resolution manometry in the evaluation of esophageal symptoms and disorders. Neurogastroenterol Motil. 2019;31(12):e13649. https://pmc.ncbi.nlm.nih. gov/articles/PMC6771035/

11. Park S, Lee JH, Kim M, Lee S, Lee H, Yang H, et al. Explo ring objective factors to predict successful outcomes after laparoscopic Nissen fundoplication. Int J Surg. 2023;109:299-305. DOI:10.1097/JS9.0000000000000451

12. Olmos JA, Pandolfino JE, Piskorz MM, Zamora N, Valdovinos Díaz MA, Remes Troche JM, et al. Latin American consensus on diagnosis of gastroesophageal reflux disease. Neurogastroenterol Motil. 2024;36(5):e14735. DOI:10.1111/nmo.14735

13. Gabbard S, Vijayvargiya S. Functional heartburn: An underrecognized cause of PPI-refractory symptoms. Cleve Clin J Med. 2019;86(12):799-806. DOI: 10.3949/ccjm.86a.19006

14. Yamasaki T, Sato H, Iwakiri K, et al. Reflux hypersensitivity: A new functional esophageal disorder. J Neurogastroenterol Motil. 2017;23(4):499-506. DOI: 10.5056/jnm17097

15. Carrott PW, Hong J, Kuppusamy M, Koehler RP, Low DE. Clinical ramifications of giant paraesophageal hernias are underappreciated: making the case for routine surgical repair. Ann Thorac Surg. 2012;94(2):421-426.

16. Desjardin M, Luc G, Collet D, Zerbib F. 24-hour pH-impedance monitoring on therapy to select patients with refractory reflux symptoms for antireflux surgery. A single center retrospective study. Neurogastroenterol Motil. 2016;28(1):146-152. DOI:10.1111/nmo.12715

17. Francis DO, Goutte M, Slaughter JC, et al. Traditional reflux parameters and not impedance monitoring predict outcome after fundoplication in extraesophageal reflux. Laryngoscope. 2011;121(9):1902-1909. DOI:10.1002/lary.21897

18. Canon CL, Levine MS, Bryn S, et al. Society of Abdominal Radiology consensus statement for barium esophagography in gastroesophageal reflux disease. AJR Am J Roentgenol. 2016;206(6):1093-1103. DOI:10.2214/AJR.15.15754

19. Nguyen AD, Carlson DA, Patel A, Gyawali CP. AGA Clinical Practice Update on Incorporating Functional Lumen Imaging Probe Into Esophageal Clinical Practice: Expert Review. Gastroenterology. 2025;169:726-736.

20. Carlson DA, Pandolfino JE, Yadlapati R, Vela MF, Spechler SJ, Schnoll-Sussman FH, et al. A Standardized Approach to Performing and Interpreting Functional Lumen Imaging Probe Panometry for Esophageal Motility Disorders: The Dallas Consensus. Gastroenterology. 2025;168(6):1114-1127.e5. DOI:10.1053/j. gastro.2025.01.234. PubMed PMID: 39914779.

21. Velanovich V. The development of the GERD-HRQL symptom severity instrument. Dis Esophagus. 2007;20(2):130-134. DOI:10.1111/j.1442-2050.2007.00658.x

22. Rijnhart-De Jong HG, Draaisma WA, Smout AJ, Broeders IA, Gooszen HG. The Visick score: a good measure for the overall effect of antireflux surgery?. Scand J Gastroenterol. 2008;43(7):787-793. DOI:10.1080/00365520801935467

23. Galmiche JP, Hatlebakk J, Attwood S, et al. Laparoscopic antireflux surgery vs esomeprazole treatment for chronic GERD: the LOTUS randomized clinical trial. JAMA. 2011 May 18;305(19):1969-77. DOI: 10.1001/jama.2011.626

24. Du X, Hu Z, Yan C, Zhang C, Wang Z, Wu J. A meta-analysis of long follow-up outcomes of laparoscopic Nissen (total) versus Toupet (270°) fundoplication for gastro-esophageal reflux disease based on randomized controlled trials in adults. BMC Gastroenterol. 2016;16(1):88. DOI:10.1186/s12876-016-0502-8

Alternativas quirúrgicas para la enfermedad por reflujo gastroesofágico Alejandro Nieponice y col.

25. Bonavina L, Saino G, Lipham JC, Demeester TR. LINX® Reflux Management System in chronic gastroesophageal reflux: a novel effective technology for restoring the natural barrier to reflux. Ther Adv Gastroenterol. 2013;6(4):261-8. DOI:10.1177/1756283X13486311

26. Bell RCW, Lipham JC, Louie BE, et al. Magnetic sphincter augmentation superior to proton pump inhibitors for regurgitation in a 1-year randomized trial. Clin Gastroenterol Hepatol. 2020;18(8):1736-1743.e2.

27. Alicuben ET, Bell RCW, Jobe BA, Buckley FP 3rd, Smith CD, Graybeal CJ, Lipham JC. Worldwide experience with erosion of the magnetic sphincter augmentation device. J Gastrointest Surg. 2018;22(9):1442-1447. DOI:10.1007/s11605-0183775-0

28. Aiolfi A, Asti E, Bernardi D, Bonitta G, Rausa E, Siboni S, Bonavina L. Early results of magnetic sphincter augmentation versus fundoplication for gastroesophageal reflux disease: systematic review and meta-analysis. Int J Surg. 2018;52:82-8. DOI:10.1016/j.ijsu.2018.02.034

29. Telem D, et al. SAGES LINX® Safety and Effectiveness Analysis. SAGES TAVAC. 2021.

30. Janu P, Shoughoury AB, Venkat K, Hurwich D, Galouzis T, Siatras J, et al. Hybrid TIF: Laparoscopic Hiatal Hernia Repair (HHR) Followed Immediately by Transoral Incisionless Fundoplication (TIF) Using the EsophyX Device - Efficacy and Safety in 99 Patients in a Community Setting. Abstract No. 865.

31. Choi AY, Roccato MK, Samarasena JB, Kolb JM, Lee DP, Lee RH, Daly S, Hinojosa MW, Smith BR, Nguyen NT, Chang KJ. Novel Interdisciplinary Approach to GERD: Concomitant Laparoscopic Hiatal Hernia Repair with Transoral Incisionless Fundoplication. J Am Coll Surg. 2021 Mar;232(3):309-318. DOI:10.1016/j.jamcollsurg.2020.11.021. PMID:33346082.

32. Jaber F, Ayyad M, Ayoub F, Elhusseiny T, Abdelrahman A, Hammoud S, et al. Concomitant hiatal hernia repair with transoral incisionless fundoplication for the treatment of refractory gastroesophageal reflux disease: a systematic review. Surg Endosc. 2024;38(10):5528 - 5540. DOI:10.1007/s00464024-11201-2

33. Gergen AK, Wagh MS, Menard-Katcher P, Pratap A. Efficacy of Combined Hiatal Hernia Repair and Transoral Incisionless Fundoplication for Giant Paraoesophageal Hernias: Technique and Early Results. Surg Laparosc Endosc Percutan Tech. 2022 Jun;32(3):404-8.

34. Faria I, Isik A, Salem A, Piazzi F, Salem YH. Concomitant Transoral Incisionless Fundoplication Outcomes and Efficacy for Gastroesophageal Reflux Disease: A Retrospective Analysis. Am J Gastroenterol. 2022 Oct;117(10S):e779. DOI: 10.14309/01. ajg.0000860936.27185.e8

35. Forssell S, Bredenoord AJ. The RefluxStop™ device: safety and efficacy at 6 - 12 months. World J Surg. 2021;45(1):72-79

36. Feka J, Saad M, Boyle N, Paireder M, Kristo I, Rieder E, Asari R, Schoppmann SF. Multicentric short term and safety study of ineffective esophageal motility patients treated with RefluxStop device. Sci Rep. 2024;14(1):15425. DOI:10.1038/s41598024-65751-5

37. Rodríguez L, Rodriguez P, Gómez B, Ayala JC, Oxenberg D, Perez-Castilla A, et al. Two-year results of intermittent electrical stimulation of the lower esophageal sphincter treatment of gastroesophageal reflux disease. Surgery. 2015 Mar;157 (3):556-67.

38. Hoppo T, Rodríguez L, Soffer E, Crowell MD, Jobe BA. Longterm results of electrical stimulation of the lower esophageal sphincter for treatment of proximal GERD. Surg Endosc. 2014 Dec;28(12):3293-3301

39. Duke MC, Farrell TM. Surgery for Gastroesophageal Reflux Disease in the Morbidly Obese Patient. J Laparoendosc Adv Surg Tech. 2016;27(1). DOI:10.1089/lap.2016.29013.mcd

40. Pauwels A, Boecxstaens V, Andrews CN, et al. How to select patients for antireflux surgery? The ICARUS guidelines (international consensus regarding preoperative examinations and clinical characteristics assessment to select adult patients for antireflux surgery). Gut. 2019;68(11):1928-1941. DOI: 10.1136/ gutjnl-2019-318260

41. Felsenreich DM, Kefurt R, Schermann M, Beckerhinn P, Kristo I, Krebs M, Prager G, Langer FB. Reflux, Sleeve Dilation, and Barrett’s Esophagus after Laparoscopic Sleeve Gastrectomy: Long-Term Follow-Up. Obes Surg. 2017. DOI:10.1007/ s11695-017-2748-9

42. Carroll R, Fontan F, Lehmann R, Smith J, Nau P. Laparoscopic Roux-en-Y gastric bypass for the management of hiatal hernia and failed fundoplication in patients with obesity. Ann Laparosc Endosc Surg. 2021;6:23. DOI:10.21037/ales-20-75

Evaluación de un paciente con dolor epigástrico y hallazgos sincrónicos infrecuentes

Hospital Italiano de Buenos Aires. Ciudad Autónoma de Buenos Aires, Argentina.

Acta Gastroenterol Latinoam 2025;55(4):330-331

López Grove · Daniela Soloaga · Juan Carlos Spina

Recibido: 04/11/2025 / Aceptado: 09/12/2025 / Publicado online el 23/12/2025 / https://doi.org/10.52787/agl.v55i4.558

Presentación del caso

Paciente masculino de 64 años, sin antecedentes clínicos de relevancia, que consultó por dolor epigástrico de evolución subaguda. En los estudios de laboratorio se evidenció descenso de eosinófilos y linfocitos, con plaquetopenia leve como único hallazgo patológico. Por síntomas de dispepsia, se realizó una endoscopía digestiva alta, la cual evidenció dos lesiones gástricas:

una en la región subcardial, de contornos regulares y cubierta por mucosa indemne, y otra de mayor tamaño en el cuerpo gástrico distal, también con mucosa preservada. A partir de los hallazgos endoscópicos, se solicitó una tomografía abdominal con distensión gástrica por CO 2 (neumotomografía), la cual incluye reconstrucciones tridimensionales. Asimismo, se solicitó una endoscopía virtual generada postprocesamiento. Este estudio permitió caracterizar con mayor precisión la morfología de las lesiones, su localización exacta y su patrón de crecimiento.

Correspondencia:: Roy López Grove Correo electrónico: roy.lopez@hospitalitaliano.org.ar

Gastroenterol Latinoam 2025;55(4):330-331

La tomografía computada prequirúrgica evidenció una masa subcardial con crecimiento hacia la luz y realce homogéneo tras la administración de contraste, y otra masa en el cuerpo distal de crecimiento mixto y realce heterogéneo (Figuras 1A y 1B). La reconstrucción tridimensional, similar a un estudio baritado del estómago, facilitó la localización precisa de ambos tumores (Figura 2). La endoscopía virtual proporcionó una visión intraluminal de ambas lesiones; mostrando la mucosa gástrica preservada (Figura 3). No se evidenciaron adenopatías regionales ni metástasis a distancia.

Hallazgos sincrónicos infrecuentes Roy López Grove y col.

¿Cuál es su diagnóstico? Solución del caso en la página 398

Figura 2.
Figura 3.
Figura 1. A y B

Prevalencia del síndrome de rumiación: experiencia en tres países del Grupo de Trabajo en Trastornos del Eje Cerebro-Intestino de la Sociedad Latinoamericana de Gastroenterología, Hepatología y Nutrición Pediátrica (SLAGHNP)

Carlos Alberto Velasco-Benítez1 · Estefanía Rodríguez-López2 · Daniela Alejandra VelascoSuárez3 · Claudia Jimena Ortiz-Rivera4 · Edgar Játiva-Mariño5 · Ada Ruth Dionicio Avendaño6 · Arony Martínez6

1 Departamento de Pediatría. Universidad del Valle. Hospital Universitario del Valle "Evaristo García". Cali, Colombia.

2 Universidad Libre. Hospital Universitario del Valle "Evaristo García". Cali, Colombia.

3 Grupo de Investigación Gastrohnup. Universidad del Valle. Cali, Colombia.

4 Universidad Libre. Hospital Universitario del Valle "Evaristo García". Cali, Colombia.

5 Universidad Central del Ecuador, Clínica Internacional. Quito, Ecuador.

6 Hospital General Dr. Manuel Gea González. Ciudad de México, México.

Acta Gastroenterol Latinoam 2025;55(4):332-340

Recibido: 28/07/2025 / Aceptado: 12/11/2025 / Publicado online el 23/12/2025 / https://doi.org/10.52787/agl.v55i4.526

Resumen

Introducción. La prevalencia mundial de síndrome de rumiación es del 1,0% según los criterios diagnósticos de Roma IV. Objetivos. Identificar la prevalencia y las posibles asociaciones del síndrome de rumiación en preescolares, escolares y adolescentes de Colombia, México y Ecuador, según los criterios de Roma IV. Materiales y métodos.

Correspondencia: Carlos Alberto Velasco-Benítez Correo electrónico: carlos.velasco@correounivalle.edu.co

Estudio prospectivo, observacional, de corte transversal y descriptivo realizado en tres países latinoamericanos. De la base de datos del Grupo Functional International Digestive Epidemiological Research Survey - FINDERS Group, se incluyeron a niños y adolescentes de entre 5 y 18 años, que respondieron el Cuestionario para Síntomas Digestivos Pediátricos Roma IV en español. Se analizaron variables sociodemográficas, familiares, clínicas y nutricionales. El análisis estadístico incluyó medidas de tendencia central y dispersión para la descripción univariada de las variables. Posteriormente, se realizaron análisis bivariados mediante las pruebas de Chi-cuadrado o Fisher, y se calcularon odds ratios (OR), con sus respectivos intervalos de confianza del 95%. Se consideró un valor de p < 0,05 como estadísticamente significativo. Resultados. Fueron incluidos 10 .089 niños (12,7 +/- 3,1 años; 55,6% femeninos; 52,1% mestizos). Se diagnosticó síndrome de rumiación en el 0,8%. En el 3,4% se observó una sobreposición de rumiación con otros trastornos funcionales. Se observó una asociación entre rumiación y las siguientes variables: género femenino (OR = 2,10; IC 95%: 1,24 - 3,66; p = 0,0032)

Síndrome de rumiación en niños: experiencia de la SLAGHNP

y con sobreposición con otros trastornos funcionales, como estreñimiento y aerofagia (p = 0,000). Conclusión. La prevalencia del síndrome de rumiación en preescolares, escolares y adolescentes de tres países latinoamericanos es similar a lo relatado a nivel mundial. El análisis bivariado mostró asociaciones con el sexo femenino y la sobreposición con otros trastornos funcionales.

Palabras claves. Síndrome de rumiación, prevalencia, asociación, Roma IV, Latinoamérica.

Prevalence of Rumination Syndrome: Experience in Three Countries of the Working Group on Brain-Gut Disorders of the Latin American Society of Pediatric Gastroenterology, Hepatology and Nutrition (LASPGHAN)

Summary

Introduction. According to Rome IV diagnostic criteria, the worldwide prevalence of rumination syndrome is 1.0%. Objectives. Identify the prevalence and possible associations of rumination syndrome in preschoolers, schoolchildren, and adolescents from Colombia, Mexico, and Ecuador according to Rome IV criteria. Materials and methods. Prospective, observational, cross-sectional and descriptive study conducted in three Latin American countries. We included children and adolescents between 5 and 18 years of age from the Functional International Digestive Epidemiological Research Survey - FINDERS Group database, who answered the Rome IV Pediatric Digestive Symptom Questionnaire in Spanish. Sociodemographic, family, clinical, and nutritional variables were analyzed. The statistical analysis included measures of central tendency and dispersion for univariate description of the variables. Subsequently, bivariate analyses were performed using the chi-square or Fisher’s exact tests, and odds ratios (OR) were calculated with their respective 95% confidence intervals. A p-value of p < 0.05 was considered statistically significant. Results. A total of 10.089 children (mean age 12.7 ± 3.1 years; 55.6% female; 52.1% mixed race) were included in the study. Rumination syndrome was diagnosed in 0.8% of the children. An overlap of rumination with other functional disorders was observed in 3.4% of cases. The following variables were associated with rumination: female gender (OR = 2.10; 95% C: 1.24 - 3.66; p = 0.0032) and overlap with other functional disorders such as constipation and aerophagia (p = 0.000). Con-

Carlos Alberto Velasco-Benítez y col.

clusion. The prevalence of rumination syndrome among preschoolers, schoolchildren and adolescents in three Latin American countries is similar to that reported worldwide. Bivariate analysis showed an association with female sex and overlap with other functional disorders.

Keywords. Rumination syndrome, prevalence, association, Rome IV, Latin America.

Abreviaturas

TECI: Trastornos del eje cerebro intestino.

QPGS-IV: Questionnaire for Pediatric Gastrointestinal Symptoms Rome IV.

SR: Síndrome de rumiación.

IMC: Índice de masa corporal.

TE: Talla para la edad.

OMS: Organización Mundial de la Salud.

OR: Odds Ratio.

IC: Intervalo de confianza.

EDY-Q: Eating Disorder in Youth Questionnaire.

HREM: High-Resolution Esophageal Manometry.

Introducción

La Fundación Roma identifica los Trastornos del Eje Cerebro Intestino (TECI) a través del Cuestionario para Síntomas Digestivos Pediátricos, versión Roma IV (QPGS-IV, por sus siglas en inglés). Define el síndrome de rumiación (SR) como la regurgitación y remasticación repetitiva o la expulsión de los alimentos a través de la boca, durante un plazo de al menos ocho semanas, que comienza poco después de la ingesta de alimentos y no está precedida de arcadas, en un niño que no presenta otra afectación médica o trastorno de la alimentación.1

Según un reciente metaanálisis que incluyó catorce estudios de América, Asia, Europa, África y Oceanía, la prevalencia para SR según los Criterios de Roma IV es cercana al 1,0%.2 Son escasos los estudios a nivel latinoamericano sobre SR que identifican esta prevalencia y sus posibles asociaciones utilizando los criterios de Roma IV.

El objetivo principal de este estudio fue determinar la prevalencia del SR y sus posibles asociaciones con otros TECI en preescolares, escolares y adolescentes de entre 5 y 18 años, de Colombia, México y Ecuador, de acuerdo con los criterios de Roma IV.

Síndrome de rumiación en niños: experiencia de la SLAGHNP

Materiales y métodos

Estudio prospectivo, observacional, de corte transversal y descriptivo realizado en Quito, Ecuador (n = 951), Ciudad de México, México (n = 2380) y ocho ciudades de Colombia (n = 6758).

Una vez revisados y firmados los consentimientos informados de cuidadores y niños que respondieron debidamente el QPGS-IV entre el 20 de junio de

Incluidos n = 10775

Entre los 5 y 18 años de edad

Analizados n = 10089

Preescolares, escolares y adolescentes

Con TECI n = 2204 (21,9%)

Con SR n = 76 (0,8%)

TECI= trastornos del eje cerebro intestino; SR= síndrome de rumiación.

En la implementación del cuestionario, las respuestas de los niños de 5 a 10 años fueron proporcionadas por sus padres y/o cuidadores, mientras que en los mayores de 10 años el instrumento fue completado por ellos mismos. En todos los casos, la encuesta fue aplicada de manera dirigida por un médico general o un médico especialista (gastroenterólogo o pediatra) previamente entrenado en

Carlos Alberto Velasco-Benítez y col.

2019 y el 22 de marzo de 2024, y que se encontraban registrados en la base de datos del Grupo Functional International Digestive Epidemiological Research Survey – FINDERS Group (n = 14831), fueron excluidos 4742 lactantes y preescolares de entre un mes y 4 años y 686 niños por tener registros incompletos y/o presentar diagnósticos de enfermedades orgánicas (Figura 1).

Base de datos n = 14831

Func onal Interna onal Diges ve Epidemiological Research Survey FINDERS

Excluidos n = 4742

Entre 1 mes y 4 años de edad

Excluidos n = 686 (6,4%)

Registros incompletos

Enfermedad Celíaca

Enfermedad Inflamatoria Intes nal Hepatopa as

Malformaciones congénitas del sistema diges vo Enfermedad de Hirschsprung

Gastri s por Helicobacter pylori

Sin TECI n = 7885 (78,1%)

el protocolo del estudio, con el fin de garantizar la validez y la adecuada interpretación de las respuestas.

Se analizaron variables sociodemográficas como edad, sexo, raza, colegio y origen; familiares como hijo único, primogénito, convivencia con los padres, TECI intrafamiliar; variables clínicas como la vía de nacimiento (cesárea o parto vaginal), prematuridad y sobreposición con

Figura 1. Diagrama de flujo de pacientes

Síndrome de rumiación en niños: experiencia de la SLAGHNP Carlos Alberto Velasco-Benítez y col.

otros TECI; y nutricionales como estado nutricional según el índice de masa corporal (IMC) y la talla para la edad (TE), siguiendo las tablas de la Organización Mundial de la Salud (OMS).

En este estudio, se consideró sobreposición cuando un participante cumplía simultáneamente con los criterios diagnósticos de SR y al menos otro TECI, según los criterios diagnósticos de Roma IV. Esta variable se analizó en el modelo bivariado como factor potencialmente asociado al SR.

El análisis estadístico se realizó por medio del software Stata 16.1 (StataCorp, College Station Texas, Estados Unidos). Se tuvieron en cuenta medidas de tendencia central y desvío estándar o rango según correspondiera. Las variables cualitativas fueron informadas con base a su frecuencia y porcentaje. Las comparaciones de variables cuantitativas fueron analizadas utilizando la prueba de t Student. Para las comparaciones entre variables categóricas se utilizaron las pruebas de Chi-cuadrado o exacta de Fisher, según el recuento esperado de las celdas. Cuando existieron celdas con recuento cero o menor de cinco observaciones, se aplicó la prueba exacta de Fisher. En estos casos no fue posible estimar Odds Ratios (OR) ni intervalos de confianza del 95% (IC95%), por lo que se reportaron como no estimables (n/a). Este criterio se mantuvo de manera uniforme en todas las comparaciones bivariadas.

La aprobación para la realización de este estudio fue obtenida del Comité de Ética del Hospital Universitario del Valle “Evaristo García”, de Cali, Colombia (Código 023-2019) y del Comité de Ética del Hospital Dr. Manuel Gea González, de la Ciudad de México, México (Registro 21-84-2023). Asimismo, se firmaron consentimientos informados por parte de los padres y asentimientos informados por los niños mayores de 7 años.

Resultados

Características de la población. Fueron incluidos 10089 niños y adolescentes de entre 5 y 18 años de edad (12,7 +/- 3,1 años; 55,6% femeninos; 52,1% mestizos), con predominio en las variables sociodemográficas: adolescentes, sexo femenino, raza mestiza, colegio público y Colombia, junto con otras variables familiares, clínicas y nutricionales descriptas en la Tabla 1.

Prevalencia. El 22,1% de los niños y adolescentes de entre 5 y 18 años de Colombia, México y Ecuador presentó algún TECI. Los principales TECI encontrados fueron los relacionados con la defecación (13,2%), seguidos por los relacionados con dolor abdominal (6,4%). El 0,8% (n = 76) presentó SR (Tabla 2).

Tabla 1. Características generales de pre-escolares, escolares y adolescentes de Colombia, México y Ecuador (n = 10.089)

Variables sociodemográficas: n (%)

Edad (años)

Promedio +/- Desviación Estándar 12, 7+/- 3,1

Rango 5 a 18

Grupos de edad

Preescolares (5 - 8 años)

Escolares (9 - 12 años)

Adolescentes (13 - 18 años)

Sexo

Femenino

Masculino

Raza (n = 4173)

Mestizo

Afrodescendiente

Indígena

Colegio (n = 7709)

Público

Países

Colombia

Variables familiares

Hijo único (n = 5115)

Primogénito (n = 5099)

Convivencia con los padres (n = 4696)

TECI intra-familiar (n = 4530)

Variables clínicas

Cesárea (n = 3703)

Prematurez (n = 2717)

Estado nutricional

Según Índice de Masa Corporal (n = 950) Eutrófico

Según Talla para la edad (n = 950)

605 (6,0)

3615 (35,8)

5869 (58,2)

(55,6)

(44,4)

(52,1)

(29,9)

(12,2)

(5,8)

(82,7)

(17,3)

(57,0)

(23,6)

(9,4)

(16,5)

(59,4)

(40,6)

(60,0)

(40,0)

(97,7)

(2,3)

(65,9)

(34,1)

(86,5)

(13,5)

(70,8)

(29,2)

(87,8) Alterada

TECI = Trastornos del eje cerebro intestino.

(12,2)

Síndrome de rumiación en niños: experiencia de la SLAGHNP Carlos Alberto Velasco-Benítez y col.

Tabla 2. Prevalencia de Trastornos del Eje Cerebro Intestino en pre-escolares, escolares y adolescentes de Colombia, México y Ecuador (n = 10.089)

Trastornos del Eje Cerebro Intestino: n (%) Todos

No

7862 (77,9)

Sí 2227 (22,1)

Asociados a náuseas y vómito

Náuseas y vómito

- Náuseas funcionales

- Vómito funcional

Síndrome de vómito cíclico

Síndrome de rumiación

Aerofagia

253 (2,5)

96 (1,0)

19 (0,2)

77 (0,8)

47 (0,5)

76 (0,8)

34 (0,3)

Asociados a dolor abdominal 648 (6,4)

Dispepsia funcional

- Posprandial

- Epigástrica

Síndrome de intestino irritable

- Con estreñimiento

- Con diarrea

- Con estreñimiento y diarrea

- Sin estreñimiento y sin diarrea

Migraña abdominal

Dolor abdominal no especificado de otra manera

Asociados a la defecación

Estreñimiento funcional

Incontinencia fecal no retentiva

323 (32,0)

286 (2,8)

37 (0,4)

143 (1,4)

35 (0,4)

5 (0,1)

33 (0,3)

70 (0,7)

43 (0,4)

139 (1,4)

1326 (13,2)

1309 (13,0)

17 (0,2)

El 3,4% de los niños presentó más de un TECI. El 0,31% presentó SR sumado a otro TECI, siendo las superposiciones más frecuentes: SR y estreñimiento funcional (0,17%), SR y aerofagia (0,04%), y SR, dis -

pepsia funcional posprandial y estreñimiento (0,03%) (Tabla 3).

Análisis bivariado. Se observó una asociación entre el SR y las siguientes variables: género femenino (OR = 2,10; IC95%: 1,24 - 3,66; p = 0,0032) (Tabla 4) y con las sobreposiciones más frecuentes SR y estreñimiento funcional (p = 0,000) y SR y aerofagia (p = 0,000) (Tabla 4a).

Tabla 3. Prevalencia de sobreposiciones con Síndrome de Rumiación en pre-escolares escolares y adolescentes de Colombia, México y Ecuador (n = 10089)

Sobreposición para algún TECI

(96,6)

(3,4)

Sobreposición para SR 32 (0,31) Dos TECI 22 (0,21)

TECI

TECI= trastornos del eje cerebro intestino, sr= síndrome de rumiación; ef= estreñimiento funcional, ae= aerofagia, df_p= dispepsia funcional posprandial, sii_m= síndrome de intestino irritable mixto, sii_i= sii indeterminado vf= vómito funcional, nf= náusea funcional. *Los porcentajes se calcularon sobre el total de la muestra (por columna).

Tabla 4. Factores de riesgo de Síndrome de Rumiación en pre-escolares, escolares y adolescentes de Colombia, México y Ecuador (n = 10.089)

(n = 10013) (n = 76)

Variables sociodemográficas

Edad (años)

Grupos de edad

Pre-escolares (5 - 8 años)

Escolares (9 - 12 años)

Adolescentes (13 - 18 años)

Tabla 4, continuación en página siguiente

(6,0)

Síndrome de rumiación en niños: experiencia de la SLAGHNP

Continuación Tabla 4. Factores de riesgo de Síndrome de Rumiación en pre-escolares, escolares y adolescentes de Colombia, México y Ecuador (n = 10.089)

Raza (n = 4173) (n = 4130) (n =

Blanca

Colegio (n = 7709) (n = 7645) (n = 64)

Variables familiares

Hijo único (n = 5115) (n = 5075) (n = 40)

Primogénito (n = 5099) (n = 5059) (n = 40)

Padres separados/divorciados (n = 4696) (n = 4660) (n = 36)

TECI intra-familiar (n = 4530) (n = 4495) (n = 35)

Variables clínicas

Cesárea (n = 3703) (n = 3664) (n = 39)

Síndrome de rumiación en niños: experiencia de la SLAGHNP

Tabla 4. Continuación

(n = 10013) (n = 76)

Prematurez (n = 2717) (n = 2690) (n = 27)

Estado nutricional

Según Índice de Masa Corporal (n = 950) (n = 945) (n = 5)

(70,8)

Según Talla para la Edad (n = 950) (n = 945) (n = 5)

829 (87,7) 5 (100,0)

(12,3)

*En las comparaciones con recuentos esperados < 5 o celdas con valor 0 se aplicó la prueba exacta de Fisher. En dichos casos no fue posible estimar OR ni IC 95%.

Tabla 4a. Sobreposiciones más frecuentes con síndrome de rumiación en preescolares, escolares y adolescentes de Colombia, México y Ecuador (n = 10.089)

Sí p (n = 10.013) (n = 76)

Con EF No 10013 (100,0) 58 (99,9) < 0,001

Sí 0 (0,0) 18 (0,17)

Con AE No 10013 (100,0) 72 (99,9) < 0,001

Sí 0 (0,0) 4 (0,04)

EF= estreñimiento funcional; AE= aerofagia.

*Los porcentajes se calcularon sobre el total de la muestra.

**En las comparaciones con recuentos esperados < 5 o celdas con valor 0 se aplicó la prueba exacta de Fisher. En dichos casos no fue posible estimar OR ni IC 95%.

Discusión

La prevalencia mundial del SR se ha estimado en aproximadamente 1,0% en población pediátrica, según los criterios de Roma IV.3 En nuestro estudio, realizado en tres países latinoamericanos, la prevalencia fue de 0,8%, valor similar al reportado globalmente y que aporta evidencia regional sobre la frecuencia de este trastorno en la infancia.

En cuanto a los TECI en general, identificamos una prevalencia del 22,1%, comparable con lo descripto por Saps y colaboradores en Colombia (21,2%)4 y ligeramente inferior a la reportada en Europa (30,9%),3 Norteamérica (25,0%)5 y Centroamérica (29,2).6 Finalmente, el metaanálisis de Velasco-Benítez y col.,2 que incluyó catorce estudios realizados en población pediátrica de entre 4 y 18 años, en instituciones públicas, reporta

una prevalencia global del 23,0% (IC95%: 21% - 25%; I2 = 99%), con mayor prevalencia observada en países de América del Norte y del Sur, donde fue del 23,7% (IC95%: 21,29% - 26,22%; I2 = 91,3%). Estas diferencias podrían atribuirse a la variabilidad geográfica, cultural y metodológica, especialmente al tipo de informante en los estudios realizados: mientras algunos recogen información de los padres, en nuestro estudios los cuestionarios fueron administrados por los mismos participantes mayores de 10 años, lo que podría reducir la sobreestimación de síntomas inespecíficos.

La prevalencia de SR en nuestro estudio (0,8%) es ligeramente superior a lo encontrado por Saps y col. 4 en Colombia (0,5%). Robin y col., 5 en los Estados Unidos, no identificaron SR en su muestra de 4 a 18 años de edad. Haworth y col. 7 llevaron a cabo un metaanálisis que incluyó 147 estudios y un total de 114228 participantes, de los cuales 52694 eran población pediátrica. Describen una prevalencia de SR de 1,1% en adolescentes y de 0,1% en niños de entre 4 y 10 años. Altamimi y col., 8 en Jordania, incluyeron a 1587 niños escolarizados, e identificaron una prevalencia del 0,4% en el grupo de 4 a 10 años y de 0,3% en el grupo de 11 a 18 años. En nuestro estudio, al analizar por grupos de edad, no encontramos SR en los niños de entre 5 y 8 años. La prevalencia de SR fue de 0,8% tanto en los niños de 9 a 12 años como en el grupo etario de 13 a 18 años. Con base en estos hallazgos, se refuerza la necesidad de considerar la edad como un factor relevante en la identificación de este trastorno. Murray y col., 9 en Suiza, con una muestra de 1430 niños escolarizados de entre 7 y 13 años, determinaron SR en el 9,7%; sin embargo, estos autores utilizaron el Cuestionario sobre Trastornos Alimentarios en Jó -

Síndrome de rumiación en niños: experiencia de la SLAGHNP

venes (EDY-Q, por sus siglas en inglés), lo que podría explicar estas diferencias. En adultos, en comparación con los niños, Josefsson y col. 10 describieron prevalencias del 3,1%, asociadas a mayor IMC, ansiedad y depresión; y Zand Irani y col., 11 del 5,8% asociada al sexo femenino, tabaquismo, dieta sin gluten, rinitis alérgica y depresión. Sería de gran utilidad enfocar investigaciones a futuro en el marco de la transición de la niñez a la adultez, que involucren componentes psicológicos, nutricionales y atópicos, hallazgos que podrían ayudar a comprender mejor los posibles mecanismos fisiopatológicos comunes y a establecer estrategias diagnósticas y terapéuticas más integrales.

Son múltiples las hipótesis que pueden explicar las diferencias entre nuestros hallazgos y lo reportado universalmente: diseños metodológicos de los estudios, tipo de cuestionarios utilizados, personas que proporcionan la información, diversidad sociocultural, nivel de conciencia y reconocimiento clínico de la entidad en las diferentes poblaciones, contexto geográfico, grupos etarios, entre otros. Es fundamental considerar todos los aspectos mencionados al comparar los resultados de los diferentes estudios, ya que influyen significativamente en la interpretación de los hallazgos.

Jia y col. 12 evaluaron el tiempo transcurrido desde el inicio de los síntomas hasta el diagnóstico de SR en niños de entre 5 y 17 años, y analizaron si ese tiempo predice los resultados del tratamiento. Estos autores encuentran que un mayor tiempo hasta el diagnóstico se asocia con una menor probabilidad de resolución de los síntomas tras el tratamiento ( p = 0,01), por lo que subrayan la importancia de un reconocimiento rápido de los síntomas de SR y un diagnóstico oportuno. En nuestro estudio el diagnóstico de SR se realizó mediante el cuestionario QPGS-IV, a este respecto, Alioto y col. 13 documentaron el uso de pruebas diagnósticas en adolescentes con SR. Encontraron que los exámenes más utilizados fueron la esofagogastroduodenoscopía, el vaciamiento gástrico, la manometría antroduodenal, la seriada gastrointestinal superior y la ecografía abdominal, con un promedio de 8,8 pruebas y USD 19.795 por paciente para llegar al diagnóstico. Concluyen que, si bien las pruebas exhaustivas para el SR son comunes en la práctica clínica, tienen un alto costo económico y bajo rendimiento, lo que probablemente retrasa el diagnóstico y el tratamiento, por lo que sugieren utilizar criterios basados en síntomas para el diagnóstico del SR. Por otra parte, existen propuestas diagnósticas actuales de SR que utilizan la manometría esofágica de alta resolución (HREM, por sus siglas en inglés). Righini Grun -

Carlos Alberto Velasco-Benítez y col.

der y col. 14 determinaron un patrón manométrico en 15 niños con SR y lo compararon con niños sanos, reportando una sensibilidad del 80% y una especificidad del 100%, por lo que concluyen que el estudio con HREM permite confirmar el diagnóstico del SR y diferenciar entre rumiación primaria y secundaria.

La variable de sobreposición fue analizada en el modelo bivariado para explorar posibles relaciones clínicas. En el análisis bivariado se identificaron asociaciones entre el SR y variables como el sexo femenino y la sobreposición con otros trastornos funcionales. Futuros estudios con mayor tamaño muestral, que incluyan un ajuste por clúster o país y enfoques analíticos multinivel, podrían aportar mayor precisión para identificar predictores consistentes del SR en población pediátrica latinoamericana.

La principal fortaleza de este estudio es la base de datos sólida del Grupo Functional International Digestive Epidemiological Research Survey – FINDERS Group, alimentada por los miembros del grupo de trabajo sobre TECI, pertenecientes a la Sociedad Latinoamericana de Gastroenterología y Hepatología Pediátrica (SLAGHNP), que permite la estandarización de la metodología de los diversos estudios de una manera sistemática y fiable. Con relación a sus debilidades, el estudio se limita a ciertas ciudades y países de Latinoamérica. Debido a la baja prevalencia del SR, sería útil la participación de más países latinoamericanos, e incluso de otros continentes.

Conclusión

Se encontró una prevalencia de SR de 0,8% en preescolares, escolares y adolescentes de Colombia, México y Ecuador, la cual es similar a la descripta a nivel mundial. El SR se asoció con el sexo femenino y con la presencia de otros TECI. La superposición más frecuente fue SR y estreñimiento funcional.

Consentimiento para la publicación. Se obtuvo el consentimiento y asentimiento informado por escrito del paciente o su padre, tutor o familiar, para la publicación de los datos en beneficio de la ciencia. La copia del formulario de consentimiento y asentimiento se encuentra disponible para los editores de esta revista.

Propiedad intelectual. Los autores declaran que los datos, las tablas y las figuras presentes en el manuscrito son originales y se realizaron en sus instituciones pertenecientes.

Financiamiento. Los autores declaran que no hubo fuentes de financiación externas.

Conflictos de interés. Los autores declaran no tener conflictos de interés en relación con este artículo.

Aviso de derechos de autor © 2025 Acta Gastroenterológica Latinoamericana. Este es un artículo de acceso abierto publicado bajo los términos de la Licencia Creative Commons Attribution (CC BY-NC-SA 4.0), la cual permite el uso, la distribución y la reproducción de forma no comercial, siempre que se cite al autor y la fuente original.

Cite este artículo como: Velasco-Benítez C A, RodríguezLópez E, Velasco-Suárez D A y col. Prevalencia del síndrome de rumiación: experiencia en tres países del Grupo de Trabajo en Trastornos del Eje Cerebro-Intestino de la Sociedad Latinoamericana de Gastroenterología, Hepatología y Nutrición Pediátrica (SLAGHNP). Acta Gastroenterol Latinoam. 2025;55(4):332-340 https://doi.org/10.52787/ agl.v55i4.526

Referencias

1. Hyams JS, Di Lorenzo C, Saps M, Shulman RJ, Staiano AM, Van Tilburg M. Childhood Functional Gastrointestinal Disorders: Child/Adolescent. Gastroenterology. 2016;150:1456-68.

2. Velasco-Benítez CA, Collazos-Saa LI, García-Perdomo HA. A systematic review and meta-analysis in schoolchildren and adolescents with functional gastrointestinal disorders according to Rome iv criteria. Arq Gastroenterol. 2022;59(2):304-13.

3. Cinquetti M, Biasin M, Ventimiglia M, Balanzoni L, Signorelli D, Pietrobelli A. Functional gastrointestinal disorders, lifestyle habits, and smartphone addiction in adolescents. Pediatr Med Chirrs, lifestyle habits, and smartphone addiction in adolescents. Pediatr Med Chir. 2021;43(1).

4. Saps M, Velasco-Benítez CA, Langshaw AH, Ramírez-Hernández CR. Prevalence of functional gastrointestinal disorders in children and adolescents: Comparison between Rome III and Rome IV criteria. J Pediatr. 2018;199:212-6.

5. Robin SG, Keller C, Zwiener R, Hyman PE, Nurko S, Saps M, et al. Prevalence of pediatric functional gastrointestinal disorders utilizing the Rome IV criteria. J Pediatr. 2018;195:134-9.

6. Plasencia J, Ponce L, Alvarez J, Fragoso T, Arias YI, Carassou M, et al. Desórdenes gastrointestinales funcionales en adolescentes de la enseñanza preuniversitaria. Rev Cuba Med Mil. 2024;53(3).

7. Haworth JJ, Treadway S, Hobson AR. The prevalence of rumination syndrome and rumination disorder: A systematic review and meta-analysis. Neurogastroenterol Motil. 2024;36(7):e14793.

8. Altamimi E, Scarpato E, Saleh I, Tantawi K, Alassaf M, Ijam M, et al. National prevalence of functional gastrointestinal disorders in Jordanian children. Clin Exp Gastroenterol. 2020; 13:267-72.

9. Murray HB, Thomas JJ, Hinz A, Munsch S, Hilbert A. Prevalence in primary school youth of pica and rumination behavior: The understudied feeding disorders. Int J Eat Disord. 2018;51(8):994-8.

10. Josefsson A, Hreinsson JP, Simrén M, Tack J, Bangdiwala SI, Sperber AD, et al. Global Prevalence and Impact of Rumination Syndrome. Gastroenterology. 2022;162(3):731-42.e9.

11. Zand M, Jones MP, Halland M, Herrick L, Choung RS, Saito YA, et al. Prevalence, symptoms and risk factor profile of rumination syndrome and functional dyspepsia: a population-based study. Aliment Pharmacol Ther. 2021;54(11-12):1416-31.

12. Jia MR, Lu PL, Khoo JS, Sabella J, Yang DM, Puri NB, et al. Delay in diagnosis is associated with decreased treatment effectiveness in children with rumination syndrome. J Pediatr Gastroenterol Nutr. 2024;79(4):850-4.

13. Alioto A, Di Lorenzo C, Montgomery ML, Yacob D. High cost and low yield: The diagnostic evaluation of rumination syndrome in pediatrics. J Pediatr. 2017;185:155-9.

14. Righini F, Aspirot A, Faure C. High-resolution esophageal manometry patterns in children and adolescents with rumination syndrome. J Pediatr Gastroenterol Nutr. 2017;65(6):627-32.

Prevalencia de ansiedad y depresión en pacientes con enfermedad inflamatoria intestinal: asociación con la actividad de la enfermedad y su impacto en la calidad de vida

Camila María Briz · Federico Ignacio Cassella · Pablo Martín Perez · Santiago Marzullo · Luis Viola

Servicio de Gastroenterología y Hepatología, Sanatorio Güemes.

Ciudad Autónoma de Buenos Aires, Argentina.

Acta Gastroenterol Latinoam 2025;55(4):341-349

Recibido: 02/11/2025 / Aceptado: 09/12/2025 / Publicado online el 23/12/2025 / https://doi.org/0.52787/agl.v55i4.557

Resumen

Introducción. Las enfermedades inflamatorias intestinales son patologías crónicas cuyos síntomas digestivos y extradigestivos alteran la calidad de vida de los pacientes que las padecen. Múltiples estudios observacionales han descrito, además, un aumento significativo en la prevalencia de alteraciones psiquiátricas en pacientes con enfermedad inflamatoria intestinal en comparación con la población general, especialmente ansiedad y depresión. Objetivos. Evaluar la prevalencia de síntomas sugestivos de ansiedad y/o depresión en pacientes con enfermedad inflamatoria intestinal, así como su relación con la actividad de la enfermedad y la calidad de vida. Materiales

Correspondencia: Camila Briz

Correo electrónico: camilabriz1992@gmail.com

y métodos. Se evaluaron a los pacientes mayores de 18 años que acudieron a los consultorios de enfermedad inflamatoria intestinal del Servicio de Gastroenterología y Hepatología del Sanatorio Güemes y del Centro Integral de Gastroenterología, en la Ciudad Autónoma de Buenos Aires, desde mayo de 2023 hasta abril de 2025. Se utilizaron los cuestionarios HADS (Hospital Anxiety and Depresión Scale) y CCVEII-9 (Cuestionario reducido de calidad de vida en enfermedad inflamatoria intestinal) y además se recopilaron datos clínicos y de calprotectina fecal como marcador de actividad inflamatoria. Resultados. Se incluyeron a 99 pacientes con enfermedad inflamatoria intestinal mayores de 18 años. El 62,6% de ellos presentó síntomas sugestivos de ansiedad y el 19% de depresión. No se encontró asociación entre síntomas psiquiátricos y niveles de calprotectina. Por otro lado, la presencia de ansiedad o depresión se asoció con una peor calidad de vida. Asimismo, se observaron correlaciones negativas moderadas para ansiedad y severas para depresión entre los puntajes de los dos cuestionarios utilizados. Conclusión. Más de la mitad de los pacientes con enfermedad inflamatoria intestinal presentan síntomas de ansiedad y depresión, con un impacto significativo en su calidad de vida, aunque sin relación con la actividad inflamatoria. Estos hallazgos enfatizan la importancia de realizar pesquisa y tratamiento específico de patologías psiquiátricas en esta población para mejorar su bienestar integral.

Prevalencia de ansiedad y depresión en pacientes con enfermedad inflamatoria intestinal Camila Briz y col.

Palabras claves. Enfermedad inflamatoria intestinal, colitis ulcerosa, enfermedad de Crohn, ansiedad, depresión, calidad de vida, actividad inflamatoria, eje intestino-cerebro.

Prevalence of Anxiety and Depression in Patients with Inflammatory Bowel Disease: Association with Disease Activity and its Impact on Quality of Life

Summary

Introduction. Inflammatory bowel diseases are chronic conditions whose digestive and extradigestive symptoms affect patients' quality of life. Multiple observational studies have also reported a significantly higher prevalence of psychiatric disorders, particularly anxiety and depression, in inflammatory bowel disease patients compared to the general population. Objectives. To evaluate the prevalence of symptoms suggestive of anxiety and/or depression in inflammatory bowel disease patients, as well as their association with disease activity and quality of life. Materials and methods. Patients over 18 years of age who attended the inflammatory bowel disease clinics of the Gastroenterology and Hepatology Service of the Güemes Hospital and the Centro Integral de Gastroenterología, in the Autonomous City of Buenos Aires, Argentina, from May 2023 to April 2025 were evaluated. The HADS (Hospital Anxiety and Depresión Scale) and CCVEII-9 (Shortened quality of life questionnaire in inflammatory bowel disease) questionnaires were administered, alongside the collection of clinical data and fecal calprotectin as a marker of inflammatory activity. Results. Ninety-nine patients with inflammatory bowel disease aged 18 years or older were included. Symptoms suggestive of anxiety were observed in 62.6% and depression in 19% of patients. No significant associations were found between psychiatric symptoms and calprotectin levels. However, the presence of anxiety or depression was associated with lower quality of life. Moderate negative correlations were observed for anxiety and strong negative correlations for depression between the scores of the two questionnaires. Conclusion. More than half of inflammatory bowel disease patients present symptoms of anxiety and depression, significantly affecting their quality of life, although no relationship with inflammatory activity was observed. These findings emphasize the importance of screening and specifically treating psychiatric disorders in this population to improve overall well-being.

Keywords. Inflammatory bowel disease, ulcerative colitis, Crohn's disease, anxiety, depression, quality of life, inflammatory activity, gut-brain axis.

Abreviaturas

EII: Enfermedad inflamatoria intestinal.

CU: Colitis ulcerosa.

EC: Enfermedad de Crohn.

HADS: Escala Hospitalaria de Ansiedad y Depresión, por sus siglas en inglés.

CCVEII-9: Cuestionario reducido de calidad de vida en enfermedad inflamatoria intestinal, por sus siglas en inglés.

Introducción

La depresión y la ansiedad son aproximadamente entre dos y tres veces más frecuentes en pacientes con enfermedad inflamatoria intestinal (EII) que en la población general.1, 2 Se ha postulado que la asociación entre las EII y los trastornos psicológicos es una vía bidireccional: (a) un mal estado de salud deriva en mal estado psicológico y viceversa; (b) la inflamación activa puede generar estados depresivos, así como los estados depresivos pueden compartir vías biológicas e inflamatorias que empeoran la actividad de la enfermedad intestinal.3 Estas condiciones muchas veces persisten sin ser detectadas o tratadas. El proyecto ENMENTE español publicó en 2017 que solamente en el 25% de los casos los pacientes con colitis ulcerosa (CU) o enfermedad de Crohn (EC) perciben que los médicos tratantes encaran problemas psicosociales durante la consulta.4 En 2011 Bennebroek y colaboradores reportaron que, pese a un 43% de prevalencia de ansiedad y depresión en pacientes con EII, solamente el 18% de estos estaba bajo tratamiento psicológico y apenas el 21% recibía psicofármacos.5 La ansiedad y la depresión suelen ser especialmente dañinas en pacientes con enfermedades crónicas, ya que se ha visto que pueden exacerbar la enfermedad de base a través de una menor adherencia al tratamiento, mal funcionamiento del sistema inmune y un aumento en la actividad del eje hipotalámico-hipofisario-adrenal o del sistema nervioso autónomo.6, 7 Incluso se ha demostrado que el diagnóstico de síndrome depresivo en EII se asocia a mayor riesgo de internación a 90 días, mayor riesgo de cirugía y aumento de realización de tomografías y videocolonoscopías innecesarias.8, 9 Se ha reporta-

Prevalencia de ansiedad y depresión en pacientes con enfermedad inflamatoria intestinal Camila Briz y col.

do también que un diagnóstico de ansiedad o depresión puede empeorar la calidad de vida de los pacientes con EII incluso cuando su enfermedad está en remisión.10

Múltiples estudios informan niveles de prevalencia de depresión y ansiedad de alrededor del 25% y 1720% respectivamente en pacientes con EII (más del doble de lo reportado para la población general) y de hasta un 42% de prevalencia de alguna alteración psiquiátrica en general.1-5 En el año siguiente al diagnóstico de EII, estos pacientes tienen 34% más chances de recibir tratamiento farmacológico con antidepresivos que la población general y este riesgo aumenta hasta 51% en los primeros 10 años de la enfermedad.11 Incluso se ha reportado una asociación entre el uso de antidepresivos y un peor curso clínico en pacientes con CU, evidenciado por una mayor dependencia de corticoides en estos pacientes, lo que resalta la importancia de una vía bidireccional entre comorbilidades psiquiátricas y peor evolución en las EII.12 Si bien no se han encontrado estudios en Argentina, dentro de Iberoamérica hay diversos grupos que vienen trabajando con el tema, como en México y Brasil.13, 14 El modelo biopsicosocial, recomendado actualmente para el abordaje de pacientes con cualquier patología, sugiere detectar y tratar los problemas psicológicos de los pacientes y no centrarse únicamente en los problemas físicos de los mismos.15, 16 El Grupo Español de Trabajo para la Enfermedad de Crohn y Colitis Ulcerosa (GETECCU) recomienda «explorar siempre la existencia de síntomas de ansiedad o depresión en los pacientes» y establece, entre otras cosas, que la eutimia debería ser un objetivo terapéutico. Asimismo, enfatiza el manejo multidisciplinario junto al equipo de especialistas en salud mental.17

En la bibliografía reportada para Iberoamérica, los reportes de prevalencia de ansiedad y depresión en EII son escasos, y pertenecen principalmente a grupos de España, Brasil y México.4, 13-15, 18 Hasta donde tenemos conocimiento, no hay aún trabajos de este tipo realizados en nuestro país. Dado que cada país presenta sus propias coyunturas culturales, sociales y económicas es de fundamental importancia contar con datos locales para poder diseñar las herramientas adecuadas para una mejor atención integral. A su vez, es importante tener en cuenta que suelen encontrarse diferencias regionales dentro del territorio argentino.

Teniendo en consideración la carga afectiva y emocional que estas patologías psiquiátricas generan en los pacientes con EII, la enorme influencia que pueden tener sobre el curso de la enfermedad (tanto en la afectación de la calidad de vida como en los gastos en el

sistema de salud) y la infravaloración que suele tener en la práctica clínica en nuestro país, creemos que es necesario empezar a jerarquizar la detección y tratamiento de alteraciones psicológicas y psiquiátricas, tanto en nuestros centros como a nivel regional y nacional.

Preguntas de investigación y objetivos

• ¿Cuál es la prevalencia de depresión y ansiedad en los pacientes con enfermedad inflamatoria intestinal en nuestra población?

• En pacientes con EII con o sin diagnóstico previo de ansiedad y/o depresión, ¿existe correlación entre su calidad de vida y su salud mental?

• ¿Existe una asociación entre los síntomas sugestivos de ansiedad y/o depresión y la actividad inflamatoria objetiva de la EII?

A partir de las preguntas de investigación descritas, se planteó una hipótesis principal que establece que la población objetivo presentará una prevalencia de depresión y ansiedad similar a la reportada en la bibliografía internacional; y que se encontrará asociación entre la presencia de depresión/ansiedad, la actividad inflamatoria de la enfermedad intestinal subyacente y la calidad de vida de los pacientes.

Se planteó como objetivo primario conocer la prevalencia de síntomas de ansiedad y depresión en nuestra población de pacientes con EII.

Nuestros objetivos secundarios fueron: a) establecer si existe una relación entre síntomas sugestivos de ansiedad y/o depresión y calidad de vida de los pacientes, y b) establecer si existe asociación entre síntomas sugestivos de ansiedad/depresión y actividad inflamatoria de la EII.

Materiales y métodos

a) Diseño metodológico: estudio de corte transversal.

b) Población: se evaluaron a todos los pacientes mayores de 18 años con EC o CU, diagnosticados hace más de un año, que acudieron a los consultorios de EII del Servicio de Gastroenterología y Hepatología del Sanatorio Güemes y del Centro Integral Gastroenterología, ambos en la Ciudad Autónoma de Buenos Aires, desde mayo de 2023 hasta abril de 2025. Se excluyeron a los pacientes que no desearon participar voluntariamente en el estudio, no comprendían cómo participar, presentaban déficits cognitivos y tenían una ostomía.

c) Muestra: el tamaño de la muestra estuvo determinado por la cantidad de pacientes que consultaron en el período de estudio. Con el número alcanzado

Prevalencia de ansiedad y depresión en pacientes con enfermedad inflamatoria intestinal Camila Briz y col. (99 pacientes), la estimación de la prevalencia (43% según hallazgos de otros autores) logra una precisión aproximada de +/- 10%, con un nivel de confianza del 95%.

d) Instrumento y variables a analizar: previa explicación del protocolo a todos los pacientes y luego de que estos firmaran el consentimiento informado, se les ofreció realizar el cuestionario HADS (Escala Hospitalaria de Ansiedad y Depresión, por sus siglas en inglés), validado para el idioma español.13 El cuestionario consta de 14 preguntas: 7 diseñadas para detectar ansiedad y 7 para detectar depresión, y ha sido ampliamente usado para la evaluación de trastornos afectivos en pacientes con EII.19 Los ítems se clasifican en una escala de 4 puntos (0 - 3) con un puntaje total que varía de 0 a 21 en cada subescala. Un mayor puntaje es indicativo de mayor gravedad de los síntomas. Un puntaje de 0 - 7 es considerado normal, y mayor o igual a 8 es considerado sugestivo de ansiedad y/o depresión. Este umbral proviene del trabajo original de Zigmond y Snaith20 y de múltiples metaanálisis posteriores que demostraron que un valor ≥ 8 en cualquiera de las subescalas ofrece un equilibrio óptimo entre sensibilidad y especificidad para detectar casos probables. Si bien algunos estudios utilizan puntos de corte más altos, como ≥ 11, estos valores fueron propuestos para maximizar la especificidad cuando se busca identificar casos clínicos probables de ansiedad o depresión. Sin embargo, la mayoría de los trabajos en poblaciones con enfermedades médicas crónicas -incluyendo EII - emplean ≥ 8 debido a su mayor sensibilidad para detectar síntomas emocionales significativos.

Dado que el objetivo de nuestro estudio fue identificar la presencia de síntomas sugestivos de ansiedad y depresión, y no realizar diagnóstico clínico, se adoptó el umbral ≥ 8 que es el más utilizado para este propósito.

Se interrogó acerca de diagnósticos previos de ansiedad o depresión, uso de medicamentos ansiolíticos y antidepresivos o concurrencia a psicoterapia.

Para evaluar la calidad de vida, se les ofreció completar el cuestionario reducido de calidad de vida en enfermedad inflamatoria intestinal (CCVEII-9, por sus siglas en inglés) validado en español.21, 22 El mismo consta de 9 ítems con escala de respuesta de 7 puntos, siendo el rango de puntuación total de 10 (peor calidad de vida) a 70 (mejor calidad de vida).

Para medir la actividad inflamatoria intestinal se consideró el valor de calprotectina fecal obtenido dentro de un periodo de 30 días durante el cual se realizaron los cuestionarios, para que haya correlación entre los mismos. Se consideró un valor de calprotectina > 150 µg/g como marcador de actividad inflamatoria. Se seleccionó un um-

bral de calprotectina fecal > 150 µg/g para definir elevación en nuestro estudio, basado en la evidencia previa que respalda su valor predictivo clínico. En cuanto al manejo de la CU, la guía de la American Gastroenterological Association (AGA) recomienda un umbral de 150 µg/g como punto de corte para diferenciar entre inflamación activa y remisión en biomarcadores no invasivos.23 Además, otras guías internacionales (GETECCU) reconocen este valor como indicativo de la necesidad de seguimiento o exploraciones adicionales.24 En conjunto, el corte > 150 µg/g representa un equilibrio razonable entre sensibilidad y especificidad para la detección de actividad inflamatoria en CU.

Se recolectaron datos de las historias clínicas de los pacientes con el fin de evaluar factores de riesgo, incluyendo edad, género, diagnóstico (CU vs. EC), consumo de tabaco, cirugías previas, uso de corticoides y uso de fármacos biológicos. Posteriormente, todos los pacientes incluidos en el trabajo contestaron los dos cuestionarios.

e) Análisis estadístico: Los datos fueron tabulados manualmente en una hoja Excel. Los valores faltantes fueron identificados, codificados como datos perdidos y excluidos del análisis. No se realizaron estimaciones adicionales.

Se llevó a cabo un análisis descriptivo mediante tablas de distribución de frecuencias (absolutas y relativas) y proporciones para los datos cualitativos; de media y desvío estándar o mediana y rango intercuartílico, según la distribución de los datos cuantitativos.

La asociación entre variables cualitativas (por ejemplo, síntomas de ansiedad o depresión y niveles de calprotectina categorizados en alta/baja según el punto de corte de 150 µg/g) se evaluó mediante tablas de contingencia y pruebas de Chi cuadrado o Fisher según corresponda. Asimismo, se calcularon razones de momios (Odds Ratios [OR]) con sus intervalos de confianza (IC) del 95% como medida de fuerza de asociación.

En el caso de comparaciones entre variables cuantitativas, se utilizaron pruebas paramétricas (t de Student o ANOVA) o no paramétricas (Mann-Whitney U o Kruskal-Wallis), de acuerdo con la naturaleza y distribución de los datos.

Para explorar la correlación entre variables cuantitativas, como los puntajes de HADS (ansiedad y depresión) y la calprotectina en valores continuos, se utilizaron pruebas de correlación (Pearson o Spearman según distribución). Para evaluar la asociación entre variables clínicas y la presencia de ansiedad o depresión se utilizó regresión logística binaria.

Prevalencia de ansiedad y depresión en pacientes con enfermedad inflamatoria intestinal

Para el objetivo general del estudio se utilizaron proporciones: cantidad de personas que presentaban las características de interés al momento de la evaluación (ansiedad y/o depresión) con intervalo de confianza del 95%.

Todos los test se realizaron a dos colas, y se utilizó un nivel de significancia de 0,05 para rechazar la hipótesis nula. Se utilizaron los programas estadísticos Infostat Profesional versión 2020 y Jamovi versión 2.7.6. Se consideraron significativos valores de p < 0,05.

f) Implicancias éticas: El proyecto de investigación fue evaluado por el Comité de Ética de la Fundación Sanatorio Güemes, que garantizó que el mismo respetara los derechos de las personas que participaron voluntariamente en él. El estudio se condujo de acuerdo a los principios de la Declaración de Helsinki y según la Guía para Investigaciones en Salud Humana del Ministerio de Salud de la Nación (Resolución 1480/11) y la Ley Provincial sobre Protección de Derechos de Sujetos en Investigaciones en Salud (Ley 3301/09). Se explicó a los participantes: objetivos, metodología y resultados esperados del estudio, así como también sus derechos y obligaciones como sujetos participantes. Una vez resueltas todas sus dudas, los pacientes firmaron un consentimiento informado para dar conformidad a ser incluidos en el estudio. Los datos de cada paciente fueron enmascarados con códigos alfanuméricos al momento de la recolección, y las bases de datos fueron tratadas únicamente con fines estadísticos por miembros del equipo de investigación. La información se dio a conocer como resultados agregados, imposibilitando la identificación individual de las personas participantes en el estudio.

Resultados

Se incluyeron a 99 pacientes con EII mayores de 18 años. Las características basales de los pacientes se resumen en la Tabla 1. El 51,5% (n = 51) fueron mujeres, con una edad promedio de 46,2 años. El 86,8% (n = 86) presentaban CU y el 13,2% (n = 13) EC. Del total, el 14,1% (n = 14) recibían tratamiento con corticoides y el 28,2% (n = 28) con fármacos biológicos.

La información sobre antecedentes psiquiátricos estuvo disponible para 95 pacientes. De ellos, el 12,6% (n = 12) tenían diagnóstico previo de ansiedad y/o depresión y se encontraban en seguimiento por especialistas en psiquiatría o psicología. El 66,6% (n = 8) de los pacientes recibía tratamiento farmacológico.

dad en el 62,6% (n = 62) y compatibles con depresión en el 19% (n = 19). Dieciocho de los 19 pacientes con síntomas depresivos presentaron además síntomas de ansiedad.

Se realizó el cuestionario de calidad de vida CCVEII-9 a 97 pacientes. Se obtuvo un valor de 44,4 de media y 46 de mediana.

La actividad de la enfermedad se evaluó mediante calprotectina fecal obtenida en concordancia temporal con el cuestionario, con resultados disponibles en 87 pacientes. La mediana de calprotectina fue de 96 ug/g y el valor medio fue de 362 ug/g.

Tabla 1. Características basales de la población estudiada (n = 99)

El cuestionario HADS se aplicó a la totalidad de los pacientes. Se identificaron síntomas sugestivos de ansieVariable

Sexo masculino

Sexo femenino

Edad (años)

Tipo de enfermedad inflamatoria intestinal

Colitis ulcerosa

48 (48,5%)

51 (51,5%)

46,2 ± —

86 (86,8%)

Enfermedad de Crohn 13 (13,2%)

Tratamiento actual Corticoides 14 (14,1%)

Biológicos 28 (28,2%)

Antecedentes psiquiátricos conocidos* 12 (12,6%)

Con tratamiento farmacológico 8 (66,6%)

Cuestionario HADS – Puntaje ≥ 8

Ansiedad

62 (62,6%)

Depresión 19 (19,0%)

Ansiedad + Depresión 18 (18,2%)

Cuestionario CCVEII-9

Media 44,4

Mediana 46

Calprotectina fecal (µg/g) Media 362 Mediana 96

Tabaquismo

No fumador 74 (74,7%)

Fumador activol 2 (2%)

Dato no disponible 23 (23,3%)

Cirugías previas

No 92 (92,9%)

Sí 7 (7,1%)

*Información disponible en 95 pacientes.

Mediana (RI)

Prevalencia de ansiedad y depresión en pacientes con enfermedad inflamatoria intestinal Camila Briz y col.

Se evaluó la correlación entre la presencia de síntomas sugestivos de ansiedad/depresión y los valores de calprotectina obtenidos como indicadores objetivos de actividad inflamatoria de la enfermedad. No se observaron asociaciones entre síntomas de ansiedad y valores elevados de calprotectina: rho de Spearman = 0,068; gl = 85, p = 0,533. Aunque los valores de calprotectina fueron más altos en el grupo con síntomas de ansiedad (41,7% vs. 38,2%), la diferencia no fue estadísticamente significativa (OR = 43, IC 95%; 0,59 - 3,45; p = 0,427). En cuanto a depresión, no se observó asociación entre síntomas de depresión y valores elevados de calprotectina: rho de Spearman = 0,104; gl = 85, p = 0,337. No hay diferencia estadísticamente significativa entre tener síntomas de depresión y presentar valores elevados de calprotectina (OR = 0,94; IC 95%; 0,19-5,94; p = 0,949). En conclusión, no se observó una relación estadísticamente significativa entre la actividad inflamatoria objetiva de la EII y la presencia de síntomas sugestivos de ansiedad o depresión.

Se evaluó la correlación entre la presencia de síntomas sugestivos de ansiedad/depresión y la calidad de vida de los pacientes. La calidad de vida fue menor en el grupo con síntomas de depresión (n = 19; Mediana = 37; Media = 36,7; DE = 8,39) respecto del grupo sin síntomas de depresión (n = 78; Mediana = 47,5; Media = 46,3; DE = 8,97). La diferencia fue estadísticamente significativa (Mann-Whitney U = 319, p < ,001) con tamaño de efecto grande (r_rb = 0,57). Esto sugiere peor calidad de vida en los pacientes que presentan síntomas de depresión. Se observó una correlación negativa entre síntomas de depresión y calidad de vida: r de Pearson = −0,504, gl = 95, p < .001; rho de Spearman = −0,519; gl = 95; p < ,001. Estos resultados indican que mayores puntajes en el cuestionario HADS de depresión se relacionan con menor calidad de vida, con una magnitud moderada del efecto. Igualmente, la calidad de vida fue menor en el grupo con síntomas de ansiedad (n = 61; Mediana = 43; Media = 41,7; DE = 9.47) respecto del grupo sin síntomas de ansiedad (n = 36; Mediana = 50; Media = 48,9; DE = 8,12). La diferencia fue estadísticamente significativa (Mann–Whitney U = 608, p < 0,001) con tamaño de efecto mediano (r_rb = 0,447). Estos resultados indican peor calidad de vida en los pacientes que presentan síntomas de ansiedad. Se observó una correlación negativa entre puntajes elevados del cuestionario HADS de ansiedad y calidad de vida: r de Pearson = −0,493; gl = 95; p < ,001; rho de Spearman = −0,485; gl = 95; p < ,001. La magnitud del efecto fue moderada e indica que mayores puntajes en la escala

HADS de ansiedad se relacionan con menor calidad de vida (CCVEII).

No se encontró asociación entre el sexo y los síntomas de ansiedad (p = 0,414) ni depresión (p = 0,313). En la regresión logística binaria no se observó asociación entre edad y síntomas de ansiedad (coeficiente −0,0021; p = 0,443) ni entre edad y depresión (coeficiente −0,0016; p = 0,284).

Discusión

En los últimos años, ha crecido el interés por estudiar la asociación entre enfermedades psiquiátricas y otras enfermedades crónicas, dada la creciente prevalencia de ambas. Dentro de este grupo, los pacientes con EII presentan un riesgo incrementado de ansiedad y depresión en comparación con la población general y otras enfermedades crónicas, probablemente debido a la comunicación bidireccional en el eje intestino-cerebro y al impacto prolongado de la enfermedad, sus complicaciones y su efecto sobre la calidad de vida.

Se han realizado estudios experimentales en modelos murinos que intentan explicar las bases fisiopatológicas de esta relación bidireccional.25 Se observó que la colitis inducida en ratones provoca un aumento de las citocinas proinflamatorias circulantes, las cuales afectan diversas regiones del cerebro, principalmente el hipocampo, estructura involucrada en la memoria y en el control de las emociones a través del sistema límbico. En este contexto, los animales mostraron un comportamiento compatible con depresión y ansiedad. El examen de su cerebro reveló un incremento en la expresión de genes relacionados con la inflamación y la sobreproducción de óxido nítrico en el hipocampo. Por otro lado, se ha informado una disfunción vagal en ratones tras la inducción de depresión, lo que condujo a una inflamación intestinal. Asimismo, en otro grupo se observó reactivación de colitis quiescente luego de inducir depresión, fenómeno que pudo prevenirse mediante la administración de antidepresivos tricíclicos.

Nuestro estudio evidencia una alta prevalencia de síntomas sugestivos de ansiedad (62,6%) y depresión (19%) en pacientes ambulatorios con EII. Estos constituyen los primeros datos publicados en Argentina, lo que resalta la relevancia clínica y científica del estudio.

Al compararlos con la literatura internacional, nuestros hallazgos son consistentes con reportes de alta prevalencia de síntomas afectivos, aunque con diferencias en cifras que podrían reflejar variaciones metodológicas, poblacionales o culturales. Por ejemplo, en México

Prevalencia de ansiedad y depresión en pacientes con enfermedad inflamatoria intestinal Camila Briz y col.

se reportó un 24% de depresión y 20% de ansiedad;13 en Brasil, entre pacientes con EC, 55% presentó ansiedad y 47% depresión, mientras que en CU fue 56% y 61%, respectivamente;14 en España, pacientes con EC en remisión mostraron un 39% de ansiedad y 24% de depresión.18 En Rumania, pacientes en remisión presentaron tasas de ansiedad y depresión de 34,1% y 18,2%, respectivamente,26 mientras que en Suiza se reportaron síntomas consistentes con ansiedad en 39,4% y 37,5% de los pacientes, y depresión en 25% y 20,2%.27 En comparación, nuestra cohorte presentó mayor prevalencia de ansiedad y menor prevalencia de depresión. La heterogeneidad en puntos de corte y en la validación de cuestionarios limita la comparación directa, pero confirma que los síntomas de ansiedad y depresión son frecuentes en pacientes con EII.

Para evaluar la actividad inflamatoria se utilizó calprotectina fecal, un marcador no invasivo ampliamente validado que refleja inflamación mucosa objetiva y permite detectar actividad subclínica con mayor sensibilidad que los índices clínicos. La ausencia de diferencias significativas entre pacientes con y sin síntomas psiquiátricos sugiere que estos trastornos no dependen exclusivamente de la inflamación intestinal objetiva, sino que probablemente están relacionados con la presencia de la enfermedad en sí, modulada por factores psicosociales y de calidad de vida.25

Entre los estudios publicados, existe discordancia en los resultados sobre la asociación entre síntomas psiquiátricos y actividad de la enfermedad. Por ejemplo, un estudio canadiense encontró que una mayor actividad clínica se asociaba con mayor prevalencia de ansiedad y depresión, medida mediante cuestionarios basados principalmente en síntomas (Escala de Mayo para CU e Índice de Harvey-Bradshaw para EC).6 La diferencia con nuestros hallazgos podría explicarse por el uso de calprotectina como marcador objetivo, lo que evita sesgos de percepción clínica y sugiere que la inflamación objetiva puede no ser el principal determinante de los síntomas afectivos en EII.

Por otro lado, un metaanálisis realizado en Londres, que incluyó 11 estudios con 3194 pacientes, evaluó el impacto de la depresión basal sobre la evolución clínica de la EII.28 Los resultados mostraron que en pacientes con CU en remisión la depresión no tuvo un efecto significativo sobre la evolución de la enfermedad y en pacientes con EC en remisión, un único estudio tampoco evidenció efecto relevante. El análisis global confirmó la ausencia de asociación significativa, hallazgos consistentes con nuestros resultados.

En la cohorte suiza previamente mencionada,27 con seguimiento entre 2006 y 2015, se observó una asociación significativa entre síntomas de depresión y recurrencia clínica a lo largo del tiempo para todos los pacientes con EII. También se encontró relación significativa entre ansiedad y recurrencia clínica en todos los pacientes con EII y con EC, pero no con CU. La discrepancia con nuestros hallazgos podría explicarse por diferencias metodológicas, tamaño muestral y seguimiento temporal, así como factores contextuales como acceso al tratamiento, estrategias de afrontamiento o apoyo social.

En nuestra cohorte, los pacientes con síntomas de ansiedad y/o depresión presentaron niveles inferiores de calidad de vida en comparación con aquellos sin trastornos psiquiátricos, hallazgo que coincide con lo reportado en múltiples estudios previos. La literatura disponible muestra de manera consistente que la presencia de comorbilidad ansioso-depresiva en pacientes con EII se asocia con una mayor percepción de limitaciones físicas, sociales y emocionales, así como con un peor bienestar general.18, 29

Diversos autores han señalado que los síntomas afectivos pueden influir negativamente en la calidad de vida tanto de forma directa -al afectar la percepción subjetiva de salud- como indirecta -al reducir la adherencia al tratamiento o aumentar la percepción de la actividad de la enfermedad-. Además, el impacto emocional de los brotes, la necesidad de tratamientos prolongados y la imprevisibilidad del curso clínico pueden contribuir al desarrollo o agravamiento de la ansiedad y la depresión.

En la cohorte rumana, en la que se evaluaron síntomas de ansiedad y depresión en 132 pacientes en remisión y su impacto en la calidad de vida, se vio que puntuaciones medias de IBDQ 32 y FACIT-Fatigue fueron significativamente más bajas en pacientes con ansiedad y depresión. 26 El puntaje medio del IBDQ 32 en pacientes con ansiedad fue de 164,6 y en pacientes sin ansiedad de 200,1; p < 0,001. En pacientes con depresión, la puntuación media del IBDQ 32 fue de 164,3 frente a 193,2 en pacientes sin depresión, p < 0,001. Esto indica que estos pacientes tenían una peor calidad de vida.

Estos hallazgos también se observaron en un grupo de pacientes americanos con diagnóstico de EII en los que se evaluó la asociación de depresión con la calidad de vida medida a partir del cuestionario breve de de enfermedad inflamatoria intestinal (SIBDQ, por sus siglas en inglés).10 En este estudio se encontró que

Prevalencia de ansiedad y depresión en pacientes con enfermedad inflamatoria intestinal Camila Briz y col.

los pacientes con depresión presentaban una calidad de vida significativamente peor, y esta diferencia se mantuvo independientemente de si los pacientes tenían EC o CU y de la actividad inflamatoria de la enfermedad. Mientras que en la cohorte mexicana de pacientes con EII ya nombrada, se reflejó que pacientes con síntomas sugestivos de ansiedad presentaban peor calidad de vida, medida a partir del cuestionario IBD-Q32.13

Entre las fortalezas de nuestro trabajo destacan su carácter pionero en Argentina, la utilización de calprotectina fecal como marcador objetivo y el uso del cuestionario HADS, ampliamente validado y estandarizado. Las limitaciones incluyen el tamaño limitado de la muestra, la mayor proporción de pacientes con diagnóstico de CU frente a EC, el carácter transversal que impide establecer causalidad y la falta de registro sistemático de factores psicosociales y comorbilidades que podrían influir en la salud mental. A su vez, se debe considerar el posible sesgo de selección, dado que al ser un centro de derivación de EII la población incluida podría presentar una mayor proporción de pacientes con enfermedad de curso más severo y en tratamiento biológico, lo que podría no reflejar completamente el espectro de pacientes con EII. Por último, la muestra se obtuvo por disponibilidad de casos y no mediante un muestreo probabilístico, lo que limita su representatividad poblacional. No obstante, el tamaño alcanzado (n = 99) cumple el poder estadístico requerido para los análisis previstos, lo que fortalece la validez de los resultados.

Conclusión

En conjunto, nuestros hallazgos resaltan que los síntomas de ansiedad y depresión son frecuentes en los pacientes con EII, incluso en aquellos con actividad inflamatoria controlada. A su vez, estos síntomas impactan de manera negativa en la calidad de vida de los pacientes. Creemos que estos resultados enfatizan la necesidad de implementar estrategias de tamizaje psicológico/psiquiátrico de rutina para poder gestionar derivaciones oportunas al servicio de salud mental, incluso en pacientes con enfermedad intestinal en remisión, con el objetivo de abordar de manera integral su salud física y emocional.

Consentimiento para la publicación. Se obtuvo el consentimiento informado por escrito del paciente o su padre, tutor o familiar, para la publicación de los datos y/o imágenes clínicas en beneficio de la ciencia. La copia del formulario de consentimiento se encuentra disponible para los editores de esta revista.

Propiedad intelectual. Los autores declaran que los datos y las tablas presentes en el manuscrito son originales y se realizaron en sus instituciones pertenecientes.

Financiamiento. Los autores declaran que no hubo fuentes de financiación externas.

Conflictos de interés. Los autores declaran no tener conflictos de interés en relación con este artículo.

Aviso de derechos de autor © 2025 Acta Gastroenterológica Latinoamericana. Este es un artículo de acceso abierto publicado bajo los términos de la Licencia Creative Commons Attribution (CC BY-NC-SA 4.0), la cual permite el uso, la distribución y la reproducción de forma no comercial, siempre que se cite al autor y la fuente original.

Cite este artículo como: Briz C M, Cassella F I, Perez P M y col. Prevalencia de ansiedad y depresión en pacientes con enfermedad inflamatoria intestinal: asociación con la actividad de la enfermedad y su impacto en la calidad de vida Acta Gastroenterol Latinoam. 2025;55(4):341-349 https://doi.org/10.52787/agl.v55i4.557

Referencias

1. Ludvigsson JF, Olén O, Larsson H, Halfvarson J, Almqvist C, Lichtenstein P, Butwicka A. Association between inflammatory bowel disease and psychiatric morbidity and suicide: a Swedish nationwide population-based cohort study with sibling comparisons. J Crohns Colitis. 2021;15(11):1824-1836.

2. Bernstein CN, Hitchon CA, Walld R, Bolton JM, Sareen J, Walker JR, Graff LA, et al. Increased burden of psychiatric disorders in inflammatory disease. Inflamm Bowel Dis. 2019;25(2):360-368.

3. Keefer L, Kane SV. Considering the bidirectional pathways between depression and IBD: recommendations for comprehensive IBD care. Gastroenterol Hepatol (N Y). 2017;13(3):164-169.

4. Marín-Jiménez I, Gobbo Montoya M, Panadero A, Cañas M, Modino Y, Romero de Santos C, Guardiola J, Carmona L, Barreiro de Acosta M. Management of the psychological impact of inflammatory bowel disease: perspective of doctors and patients-the ENMENTE project. Inflamm Bowel Dis. 2017;23(9):1492-1498.

5. Bennebroek Evertsz F, Thijssens NAM, Stokkers PCF, Grootenhuis MA, Bockting CLH, Nieuwkerk PT, Sprangers MAG. Do inflammatory bowel disease patients with anxiety and depressive symptoms receive the care they need? J Crohns Colitis. 2012;6(1):68-76.

Latinoam 2025;55(4):341-349

Prevalencia de ansiedad y depresión en pacientes con enfermedad inflamatoria intestinal

6. Byrne G, Rosenfeld G, Bressler B. Prevalence of anxiety and depression in patients with inflammatory bowel disease. Can J Gastroenterol Hepatol. 2017;2017:6496727.

7. Walker JR, Ediger JP, Graff LA, Greenfeld JM, Clara I, Lix L, Rawsthorne P, Miller N, Rogala L, McPhail CM, Bernstein CN. The Manitoba IBD cohort study: a population-based study of the prevalence of lifetime and 12-month anxiety and mood disorders. Am J Gastroenterol. 2008;103(8):1989-1997.

8. Allegretti JR, Borges L, Lucci M, Chang M, Cao B, Collins E, Vogel B, Arthur E, Emmons D, Korzenik JR. Risk factors for rehospitalization within 90 days in patients with inflammatory bowel diseases. Inflamm Bowel Dis. 2016;22(3):752-762.

9. Ananthakrishnan AN, Gainer VS, Perez RG, Cai T, Cheng SC, Savova G, et al. Psychiatric co-morbidity is associated with increased risk of surgery in Crohn's disease. Aliment Pharmacol Ther. 2013;37(4):445-454.

10. Zhang C, Li Z, Li X, Li Y, Zhang X. The influence of depression on quality of life in patients with inflammatory bowel disease. Inflamm Bowel Dis. 2013;19(8):1732-1739.

11. Jayasooriya N, Blackwell J, POP-IBD Study Group. Antidepressant medication use in inflammatory bowel disease: a nationally representative population-based study. Aliment Pharmacol Ther. 2022;55(12):1330-1341.

12. Blackwell J, Alexakis C, Saxena S, Creese H, Bottle A, Petersen I, et al. Association between antidepressant medication use and steroid dependency in patients with ulcerative colitis: a population-based study. BMJ Open Gastroenterol. 2021;8:e000588.

13. Yamamoto-Furusho J, Bozada Gutiérrez, Kayta, Sarmiento Aguilar A, Fresán Orellana A, Arguelles Castro P, García Alanis M. Depression and anxiety disorders impact in the quality of life of patients with inflammatory bowel disease. Psychiatry J. 2021; 2021:6496727.

14. Calixto RP, Flores C, Francesconi CF. Inflammatory bowel disease: impact on scores of quality of life, depression and anxiety in patients attending a tertiary care center in Brazil. Arq Gastroenterol. 2018;55(3):249-257.

15. Camacho-Martel L. Apoyo y tratamiento psicológico en la enfermedad inflamatoria intestinal: relación médico-paciente. Gastroenterol Hepatol. 2009;32(Suppl 2):13-18.

16. Suarez-Almazor ME. Patient-physician communication. Curr Opin Rheumatol. 2004;16(1):91-95.

17. Barreiro de Acosta M, Marín Jiménez I, Panadero A, Guardiola J, Cañas M, Gobbo Montoya M, et al. Recomendaciones del GETECCU y ACCU para el manejo de los aspectos psicológicos de la enfermedad inflamatoria intestinal. Gastroenterol Hepatol. 2018;41(2):118-127.

18. Iglesias M, González-Castillo S, Pérez-Cuadrado A, et al. Impacto psicológico de la enfermedad de Crohn en pacientes en remisión: riesgo de ansiedad y depresión. Rev Esp Enferm Dig. 2009;101(4):249-257.

19. Avinit A, Dar S, Taler M, Haj O, Gothelf D, Kopylov U, et al. Keeping it simple: mental health assessment in the Gastroenterology Department – using the Hospital Anxiety and Depression Scale (HADS) for IBD patients in Israel. Therap Adv Gastroenterol. 2022; Mar 15:17562848211066439.

20. Zigmond AS, Snaith RP. The hospital anxiety and depression scale. Acta Psychiatr Scand. 1983 Jun;67(6):361-70.

21. Alcalá Escriche M J. Elaboración y validación de un cuestionario reducido de la versión española del cuestionario de calidad de vida específico para la enfermedad inflamatoria intestinal. Bellaterra: Universitat Autònoma de Barcelona, 2003.

22. Alcalá M J, Cassellas F, Fontanet G, Prieto L, Malagelada J R. Shortened questionnaire on quality of life for inflammatory bowel disease. Inflamm Bowel Dis 2004;10: 383-391.

23. Siddharth Singh S, Ananthakrishnan AN, Nguyen NH, Cohen BL, S. Velayos FS, Weiss JM, et al. AGA Clinical Practice Guideline on the Role of Biomarkers for the Management of Ulcerative Colitis. Gastroenterology 2023;164:344-372.

24. Guardiola J, Lobatón T, Cerrillo E, Ferreiro-Iglesias R, Gisbert JP, Domenech E, et al. Recomendaciones del Grupo Español de Trabajo en Enfermedad de Crohn y Colitis Ulcerosa (GETECCU) sobre la utilidad de la determinación de calprotectina fecal en la enfermedad inflamatoria intestinal. Gastroenterología y Hepatología, 2018; 41(8): 514-529.

25. Bisgaard TH, Allin KH, Keefer L, Ananthakrishnan AN, Jess T. Depression and anxiety in inflammatory bowel disease: epidemiology, mechanisms and treatment. Nat Rev Gastroenterol Hepatol. 2022;19(11):686-700.

26. Stroie T, Preda C, Istratescu D, Ciora C, Croitoru A, Diculescu M. Anxiety and depression in patients with inactive inflammatory bowel disease: the role of fatigue and health-related quality of life. Medicine (Baltimore). 2023;May 12; 102(30):e33713.

27. Mikocka-Walus A, Pittet V, Rossel JB, Von Kanel R, Swiss IBD Cohort Study Group. Symptoms of depression and anxiety are independently associated with clinical recurrence of inflammatory bowel disease. Clin Gastroenterol Hepatol. 2016;14 (6):829-835.

28. Alexakis C, Humar A, Saxena S, Pollok R. Systematic Review and Meta-analysis: The impact of a depressive state on disease course in adult inflammatory bowel disease. Inflamm Bowel Dis. 2021;27(11):1719-1729.

29. López Blanco J, Moreno Jiménez B, Devesa Múgica JM, Rodriguez Muñoz A. Relación entre variables sociodemográficas y clínicas y calidad de vida relacionada con la salud en pacientes con enfermedad inflamatoria intestinal. Rev Esp Enferm Dig. 2005;97(11):757-764.

Uso de la Clasificación de Los Ángeles en la esofagitis erosiva: análisis de la concordancia interobservador-intraobservador

Anahí Ayelén de los Rios · Juan Ignacio Olmos · José María Sanguinetti · Andrés Wonaga · Lorena Bortot · Esteban González Ballerga

Hospital de Clínicas José de San Martín.

Ciudad Autónoma de Buenos Aires, Argentina.

Acta Gastroenterol Latinoam 2025;55(4):350-357

Recibido: 04/11/2025 / Aceptado: 10/12/2025 / Publicado online el 23/12/2025 / https://doi.org/10.52787/agl.v55i4.559

Resumen

Introducción. La enfermedad por reflujo gastroesofágico es una patología frecuente cuya prevalencia en países occidentales es del 10 al 20%. La Clasificación de Los Ángeles constituye el sistema endoscópico de referencia para categorizar la esofagitis erosiva. Objetivos. Evaluar la concordancia intra-interobservador en médicos residentes y especialistas en gastroenterología para clasificar la severidad de la esofagitis erosiva por reflujo por medio de la Clasificación de Los Ángeles. Materiales y méto -

dos. Estudio de corte transversal, con 59 participantes (25 especialistas y 34 residentes) que clasificaron 40 imágenes endoscópicas según la Clasificación de Los Ángeles (10 imágenes se duplicaron). La concordancia interobservador se analizó mediante el índice kappa de Fleiss y la intraobservador con el kappa de Cohen. Resultados. La concordancia interobservador fue moderada en los especialistas ( κ = 0,425; IC 95%; 0,39 – 0,46), aceptable en los residentes ( κ = 0,297; IC 95%; 0,26-0,33), y la diferencia fue estadísticamente significativa (p < 0,001). La concordancia intraobservador global fue moderada ( κ = 0,525; IC 95%; 0,47 - 0,58). Conclusión. Se observó una escasa concordancia interobservador-intraobservador al utilizar la Clasificación de Los Ángeles para esofagitis, con diferencias significativas al comparar grupos con diferente experiencia. Se recomienda la elaboración y aplicación de protocolos clínico-endoscópicos locales, que permitan uniformar criterios diagnósticos y terapéuticos, optimizar recursos y contribuir a la formación de especialistas en gastroenterología.

Correspondencia: Anahí Ayelén de los Rios Correo electrónico: aye103010@gmail.com

Palabras claves. Enfermedad por reflujo gastroesofágico, esofagitis erosiva, Clasificación de Los Ángeles, concordancia interobservador-intraobservador, variabilidad del observador, videoendoscopía digestiva alta.

Confiabilidad de la Clasificación de Los Ángeles

Use of Los Angeles Classification in Erosive Esophagitis: analysis of interobserver and intra-observer agreement

Summary

Introduction. Gastroesophageal reflux disease is a common condition with a prevalence of 10 to 20% in Western countries. The Los Angeles Classification is the standard endoscopic system for categorizing erosive esophagitis. Objectives. To evaluate intra- and inter-observer agreement among resident physicians and gastroenterology specialists in classifying the severity of reflux-related erosive esophagitis using the Los Angeles Classification. Materials and methods. A cross-sectional study was conducted with 59 participants (25 specialists and 34 residents) who classified 40 endoscopic images according to the Los Angeles Classification (10 images were duplicated). Inter-observer agreement was analyzed using Fleiss's kappa index and intra-observer agreement using Cohen's kappa. Results. Inter-observer agreement was moderate among specialists ( κ = 0.425, IC95% 0.39 - 0.46) and acceptable among residents ( κ = 0.297, IC95% 0.26-0.33), and the difference was statistically significant (p < 0.001). Overall intra-observer agreement was moderate ( κ = 0.525, IC95% 0.47 - 0.58). Conclusion. Low inter- and intra-observer agreement was observed when using the Los Angeles Classification for esophagitis, with significant differences when comparing groups with different levels of experience. The development and application of local clinical-endoscopic protocols is recommended to standardize diagnostic and therapeutic criteria, optimize resources, and contribute to the training of gastroenterology specialists.

DE: Desvío estándar.

κ: Índice kappa.

n: Número de endoscopistas.

Introducción

Keywords. Gastroesophageal reflux disease, erosive esophagitis, Los Angeles Classification, inter-observer and intra-observer agreement, observer variability, upper gastrointestinal endoscopy.

Anahí Ayelén de los Rios y col.

Abreviaturas

ERGE: Enfermedad por reflujo gastroesofágico.

VEDA: Videoendoscopía digestiva alta.

LA: Clasificación de Los Ángeles (por sus siglas en inglés).

SAGE: Sociedad Argentina de Gastroenterología.

La Enfermedad por reflujo gastroesofágico (ERGE) constituye una de las patologías esofágicas más frecuentes en la práctica clínica; 1 su prevalencia es del 10% - 20% en la población de países occidentales. 2, 3

En Argentina, se reportó una prevalencia en los adultos del 23% de síntomas típicos de ERGE como pirosis y regurgitación al menos una vez por semana. 4 La esofagitis erosiva, complicación presente hasta en el 30% de los pacientes con ERGE, se diagnostica por medio de Videoendoscopía digestiva alta (VEDA). 2, 3, 5, 6

La identificación endoscópica de esofagitis es altamente específica (90 - 95%), pero tiene una sensibilidad de alrededor del 50%. La evaluación sistematizada de la esofagitis por medio de protocolos estandarizados resulta esencial para mejorar la calidad diagnóstica y terapéutica, asimismo para homogeneizar las bases de la formación médica y la calidad de los informes endoscópicos. 7

Entre las múltiples clasificaciones endoscópicas históricas, como la de Savary-Miller, Hetzel-Dent y MUSE (metaplasia [M], ulceración [U], estenosis [S] y erosiones [E]), la Clasificación de Los Ángeles (LA), vigente desde 1999, es el sistema estandarizado más aceptado para categorizar la severidad de la esofagitis erosiva; clasifica las lesiones según su extensión y compromiso mucoso en los grados A a D. 8, 9, 10

La correcta interpretación de la LA es fundamental, considerando que, según el Consenso de Lyon, una esofagitis de grado B o superior constituye evidencia objetiva de ERGE. Por ello, una clasificación errónea presenta implicancias clínicas relevantes ya que la ERGE deteriora la calidad de vida y aumenta los costos de atención médica tanto para los pacientes como para el sistema sanitario.11, 12, 3

A pesar de su aceptación global, diferentes estudios han evidenciado que su aplicación presenta una variabilidad interobservador significativa, especialmente en los grados intermedios de esofagitis. 13-15, 6, 16-17

El objetivo de este estudio fue evaluar la concordancia intraobservador-interobservador en médicos residentes y especialistas en gastroenterología para clasificar la severidad de la esofagitis erosiva por reflujo por medio de la LA.

Confiabilidad de la Clasificación de Los Ángeles

Materiales y métodos

Diseño del estudio

Se realizó un estudio observacional, transversal, en el cual médicos gastroenterólogos identificaron grados de esofagitis según la LA en imágenes endoscópicas provenientes de videoendoscopías digestivas altas identificadas en la división Gastroenterología del Hospital de Clínicas José de San Martín, Universidad de Buenos Aires, un hospital escuela de tercer nivel de atención de la Ciudad de Buenos Aires, Argentina.

Selección de imágenes

Se seleccionaron 40 imágenes endoscópicas de la unión gastroesofágica con diagnóstico de esofagitis erosiva. Para que todas las categorías estuvieran representadas, se seleccionaron imágenes que fueron informadas de la siguiente manera: 10 como grado A, 15 como grado B, 10 como grado C y 5 como grado D.

Las fotografías endoscópicas fueron obtenidas mediante endoscopios Pentax modelo EPK-i de alta definición, por dos de los endoscopistas con mayor experiencia en patología esofágica de la institución. Todas fueron anonimizadas y codificadas con un identificador único no visible para los participantes.

De las 40 imágenes, se eligieron aleatoriamente 10, las cuales fueron duplicadas para poder evaluar la concordancia intraobservador. Las 50 fotografías (40 originales + 10 duplicadas), finalmente se ordenaron de manera aleatoria para ser incorporadas al formulario digital enviado a cada participante.

Participantes

Cuarenta y seis médicos residentes de gastroenterología cursantes del último año de la carrera de posgrado de la Sociedad Argentina de Gastroenterología (SAGE) fueron invitados a participar.

El grupo de especialistas en gastroenterología con más de dos años de experiencia en la práctica endoscópica, pertenecientes a instituciones públicas y privadas de la Ciudad de Buenos Aires, se formó mediante un muestreo de bola de nieve, en el cual los primeros invitados fueron aquellos pertenecientes a la institución. Cada participante aportaba el contacto de, al menos, dos gastroenterólogos potencialmente elegibles. Se enviaron 40 invitaciones para contestar a la encuesta.

Un total de 59 endoscopistas respondieron a las encuestas. La tasa de respuesta fue del 68%.

Instrumento

Anahí Ayelén de los Rios y col.

Todos los participantes recibieron por correo electrónico un formulario digital anónimo (Google Forms) que completaron en línea. El mismo se encontraba estructurado en dos secciones:

1. Datos generales: edad, sexo, antigüedad en la práctica endoscópica, ámbito laboral (público o privado), frecuencia de uso de la LA y, en caso de no utilizarla, detallar si los motivos son la falta de tiempo en la práctica diaria o el desconocimiento de la clasificación, o si considera irrelevante su mención en el informe endoscópico.

2. Evaluación endoscópica: clasificación de las 50 fotografías endoscópicas según los grados A–D de la LA. Se define esofagitis erosiva de grado A a las rupturas o erosiones mucosas menores a 5 mm, no confluentes; de grado B a las erosiones mayores a 5 mm, no confluentes; de grado C a las erosiones confluentes que abarcan menos del 75% de la circunferencia de la mucosa; y de grado D a las erosiones confluentes que abarcan más del 75% de la circunferencia de la mucosa esofágica.

Análisis estadístico

Las variables continuas se expresaron como media ± DE, y las variables categóricas, como frecuencias absolutas y porcentajes.

La concordancia intraobservador se determinó con el índice kappa de Cohen (κ).

La concordancia interobservador se evaluó mediante el índice kappa de Fleiss (κ), que cuantifica el grado de acuerdo entre múltiples evaluadores y corrige el efecto del azar. Los valores de κ se interpretaron según criterios de Landis y Koch, donde 0 indica ausencia de concordancia y 1 concordancia total. Los valores intermedios de 0 a 0,20 se definen como concordancia leve; de 0,21 a 0,40 como concordancia aceptable; de 0,41 a 0,60 como concordancia moderada; de 0,61 a 0,80 como concordancia considerable, y valor superior a 0,81 como concordancia casi perfecta.

El análisis se realizó por separado para los dos grupos de especialistas en gastroenterología y residentes. Dado que la distribución probabilística del estadístico κ no es trivial y depende de supuestos difíciles de verificar en muestras finitas, se aplicó la técnica de remuestreo Bootstrap (1000 iteraciones). Este procedimiento permitió estimar intervalos de confianza sólidos para cada grupo y evaluar la significación estadística de la brecha

Confiabilidad de la Clasificación de Los Ángeles

observada entre los valores de κ de cada grupo sin asumir normalidad en la distribución de los resultados. Se consideró un nivel de significación estadística de p < 0,05. El procesamiento estadístico se efectuó utilizando el software R (v4.5.1, 2025-06-13; compilación ucrt, “Great Square Root”; The R Foundation for Statistical Computing, Viena, Austria), sobre plataforma x86_64-w64-mingw32 (64 bits).

Aspectos éticos

Los médicos participantes otorgaron consentimiento informado. El protocolo fue aprobado por el Comité de Ética en Investigación del Hospital de Clínicas José de San Martín, Universidad de Buenos Aires. El estudio se realizó conforme a los principios de la Declaración de Helsinki (versión 2024), la Resolución 1480/2011 del Ministerio de Salud de la Nación y la Ley 25.326 de Protección de Datos Personales.

Resultados

Características de los participantes

Se analizaron las respuestas de 34 médicos residentes en formación y 25 especialistas en gastroenterología. La media de edad fue 37 +/- 8 años, con leve predominio del sexo femenino (52%). Ver Tabla 1.

El 67,6% de los médicos residentes realizaba su formación en instituciones privadas, mientras que el 56% de los especialistas se desempeñaba tanto en el ámbito público como privado. Ambos grupos reportaron una mediana de 20 videoendoscopías digestivas altas semanales durante el último año, lo que equivale aproximadamente a 1000 endoscopías anuales.

Respecto a la antigüedad en la práctica endoscópica, el 48% de los especialistas declaró ejercer como endoscopista desde hacía más de diez años.

En relación al uso de LA, el 98,3% de los participantes indicó utilizarla siempre; mientras que el 5,9% mencionó la falta de tiempo durante la práctica diaria como motivo principal del uso limitado.

La totalidad de los participantes (n = 59) evaluó y clasificó 50 fotografías endoscópicas, y generó un total de 2950 clasificaciones individuales. En la Figura 1 se muestra, mediante gráficos de barras apiladas, la distribución de los grados de esofagitis según la LA asignados a cada imagen, diferenciados por grupo de participantes (especialistas y residentes). Cada barra representa el número de respuestas correspondientes a los distintos grados (A, B, C y D) para una misma

Anahí Ayelén de los Rios y col.

imagen. Las diez imágenes duplicadas se identificaron con el sufijo «bis» y se ubicaron en paralelo a su imagen original, con el objetivo de visualizar la variabilidad intraobservador en la clasificación de las fotografías endoscópicas repetidas.

Tabla 1. Descripción de los participantes

Variables Especialista en Residente en Total gastroenterología gastroenterología (n = 59) (n = 25) (n = 34)

Edad

Media (DE) 42,9 (8,05) 33,4 (4,40) 37,4 (7,76)

Mediana [Min, Max] 41 [34; 63] 33 [29; 54] 34 [29; 63]

Sexo

Hombre 14 (56%) 14 (41,2%) 28 (47,5%) Mujer 11 (44%) 20 (58,8%) 31 (52,5%)

Ámbito de trabajo

Ámbito privado 10 (40%) 15 (44,1%) 25 (42,4%)

Ámbito público 1 (4%) 11 (32,4%) 12 (20,3%)

Ambos 14 (56%) 8 (23,5%) 22 (37,3%)

Antigüedad en endoscopías

3 - 5 años 4 (16%) 3 (8,8%) 7 (11,9%) 5 - 10 años 7 (28%) 0 (0%) 7 (11,9%)

Más de 10 años 12 (48%) 0 (0%) 12 (20,3%)

Menos de 3 años 2 (8%) 31 (91,2%) 33 (55,9%)

VEDA/semana

Media (DE) 20,7 (13,6) 27,3 (22,4) 24,5 (19,3)

Mediana [Min, Max] 20 [0; 50] 20 [1; 100] 20,0 [0; 100]

Usa clasificación LA A veces 0 (0%) 1 (2,9%) 1 (1,7%) Siempre 25 (100%) 33 (97,1%) 58 (98,3%)

Motivo por el cual no usa LA Falta de tiempo en 0 (0%) 2 (5,9%) 2 (3,4%) la práctica diaria

Ninguna de 9 (36,0%) 19 (55,9%) 28 (47,5%) las anteriores

No contesta 16 (64,0%) 13 (38,2%) 29 (49,2%)

Figura 1. Distribución de los grados de esofagitis de LA de las 40 imágenes, por grupo Residentes

(49) 14 13 13 bis (42) 15 Especialistas

(50)

bis (50)

(44)

(36)

(45)

(30)

(21)

(39)

(24)

bis (45) 19

18 14 bis (49) 14 13 13 bis (42) 15

(30)

Grado A Grado B Grado C Grado D

Los número bis corresponden a las 10 imágenes duplicadas.

Confiabilidad de la Clasificación de Los Ángeles

Variabilidad interobservador

La concordancia interobservador global, calculada mediante el índice kappa de Fleiss (κ), fue del 0,344 (IC95%; 0,31 – 0,38) lo que evidenció un nivel de concordancia aceptable entre todos los evaluadores. El análisis por subgrupos mostró una concordancia interobservador moderada entre los endoscopistas especialistas (κ = 0,425; IC95%; 0,39 – 0,46), y aceptable entre residentes (κ = 0,297; IC95%; 0,26 – 0,33). La diferen-

Variabilidad intraobservador

El análisis de concordancia intraobservador, realizado sobre las imágenes duplicadas, reveló un índice kappa de Cohen global de κ = 0,525 (IC95%; 0,47 – 0,58) correspondiente a una concordancia moderada en todos los endoscopistas evaluadores. Los valores desagregados por grupo fueron similares entre especialistas (κ = 0,53) y residentes (κ = 0,518).

Discusión

La enfermedad por reflujo gastroesofágico constituye una de las patologías más prevalentes en la práctica clínica. La evaluación endoscópica es una herramienta esencial para el diagnóstico de sus formas erosivas. En este contexto, la LA, propuesta y validada por Lundell y col. (1999), es el sistema de referencia para la categorización de la esofagitis erosiva dada su sencillez, reproducibilidad y aplicabilidad clínica.9

En el presente estudio se analizó la concordancia interobservador-intraobservador en la aplicación de dicha

Anahí Ayelén de los Rios y col.

cia en el grado de concordancia entre los especialistas y los residentes fue estadísticamente significativa (valor de p < 0,001). Ver figura 2.

La evaluación del nivel de concordancia interobservador según el grado de esofagitis de LA mostró una concordancia aceptable para los grados A y D (κ = 0,246 y κ = 0,261 respectivamente), leve para los grados B y C (κ = 0,151 y κ = 0,112 respectivamente). Ver figura 3.

clasificación. Los resultados mostraron una concordancia interobservador de 0,425 en los especialistas y 0,297 en los residentes, diferencia que resultó estadísticamente significativa (p < 0,001).

Estos hallazgos son consistentes con los reportados por Kusano y col., 1999;18 Pandolfino y col., 2002;16 Dadgar y col., 2024,6 quienes también encontraron una relación positiva entre mayor experiencia clínica y mayor concordancia diagnóstica. Sin embargo, los valores de κ obtenidos permanecen por debajo de los considerados óptimos, lo que refuerza la necesidad de revisar y estandarizar los criterios operativos de la clasificación.

Al igual que lo reportado por Nasseri-Moghaddam y col.,19 se observó menor concordancia interobservador en los grados intermedios (B y C), lo cual adquiere especial relevancia clínica considerando que, según los actuales criterios del Consenso de Lyon,3 el diagnóstico definitivo de ERGE se establece a partir de una esofagitis de grado B, condicionando de este modo, la indicación de tratamiento con inhibidores de la bomba de protones y, potencialmente, el seguimiento endoscópico. Una clasifi-

Figura 2. Concordancia interobservador por grupo
Figura 3. Concordancia interobservador por grado en la clasificación de Los Ángeles

Confiabilidad de la Clasificación de Los Ángeles

cación errónea en estos grados puede derivar en sobretratamiento o subtratamiento, con repercusiones clínicas en la calidad de vida del paciente y en los costos del sistema sanitario.7, 11, 20

Por otra parte, la concordancia intraobservador fue moderada en ambos grupos (κ = 0,52), lo que sugiere que la variabilidad observada no se explica únicamente por la experiencia, sino también por la dificultad inherente de categorizar lesiones sutiles dentro del sistema LA, especialmente en los grados intermedios.

Nuestros resultados permiten entrever la necesidad de fortalecer la formación estructurada y continua en la interpretación endoscópica de la esofagitis erosiva, mediante entrenamientos basados en atlas estandarizados y evaluaciones sistemáticas de competencia diagnóstica.

Investigaciones recientes destacan el potencial de la inteligencia artificial como herramienta complementaria, capaz de alcanzar niveles de concordancia equivalentes o superiores a los de endoscopistas humanos en casos de clasificación compleja, lo que abre la posibilidad de su integración como herramienta de apoyo diagnóstico, lo cual podría representar un avance significativo hacia la reducción de la variabilidad interobservador y la optimización de la precisión diagnóstica.21, 22, 23

Entre las limitaciones del presente estudio, se reconoce que la evaluación de esofagitis erosiva se basó en imágenes estáticas previamente seleccionadas, lo cual puede no reflejar completamente las condiciones de la práctica clínica habitual de una evaluación endoscópica en tiempo real, donde la observación dinámica desde distintos ángulos contribuye al diagnóstico final. Asimismo, no se brindó retroalimentación estructurada a los participantes debido al carácter anónimo de la encuesta, lo que podría haber constituido una oportunidad de aprendizaje. Los resultados deben utilizarse con cautela debido al tamaño de la muestra.

Entre las fortalezas, se destaca la participación multicéntrica y heterogénea, que incluyó médicos residentes y especialistas con diversos niveles de experiencia, lo que confiere representatividad a los resultados obtenidos. Se recomienda la elaboración y aplicación de protocolos clínico-endoscópicos locales, que permitan uniformar criterios diagnósticos y terapéuticos, optimizar recursos y contribuir a la formación de especialistas en gastroenterología.

Conclusión

Los resultados de nuestro estudio mostraron una escasa concordancia interobservador-intraobservador al uti-

Anahí Ayelén de los Rios y col.

lizar la LA para esofagitis, principalmente en los grados intermedios.

A futuro, se plantea el interrogante de la necesidad de una revisión o actualización de LA para mejorar globalmente el nivel de concordancia. Asimismo, consideramos que la implementación de estrategias de capacitación continua, el uso de protocolos estandarizados y la adopción de herramientas basadas en inteligencia artificial podrían optimizar la interpretación de la esofagitis erosiva, minimizando la variabilidad diagnóstica y terapéutica, potenciando de este modo la calidad educativa y asistencial.

Consentimiento para la publicación. Se obtuvo el consentimiento informado por escrito de los participantes, para la publicación de los datos y/o imágenes clínicas en beneficio de la ciencia. La copia del formulario de consentimiento se encuentra disponible para los editores de esta revista.

Propiedad intelectual. Los autores declaran que los datos, las figuras y las tablas presentes en el manuscrito son originales y se realizaron en sus instituciones pertenecientes.

Financiamiento. Los autores declaran que no hubo fuentes de financiación externas.

Conflicto de interés. Los autores declaran no tener conflictos de interés en relación con este artículo.

Aviso de derechos de autor © 2025 Acta Gastroenterológica Latinoamericana. Este es un artículo de acceso abierto publicado bajo los términos de la Licencia Creative Commons Attribution (CC BY-NC-SA 4.0), la cual permite el uso, la distribución y la reproducción de forma no comercial, siempre que se cite al autor y la fuente original.

Cite este artículo como: de los Rios A A, Olmos J I, Sanguinetti J M y col. Uso de la Clasificación de los Ángeles en la esofagitis erosiva: análisis de la concordancia interobservador-intraobservador. Acta Gastroenterol Latinoam. 202 5 ;5 5 ( 4 ): 350-357 . https://doi.org/10.52787/ agl.v55i4.559

Confiabilidad de la Clasificación de Los Ángeles

Referencias

1. Meira AT dos S, Tanajura D, Viana I dos S. Clinical and endoscopic evaluation in patients with gastroesophageal symptoms. Arq Gastroenterol. 2019 Mar;56(1):51-4.

2. Badillo R, Francis D. Diagnosis and treatment of gastroesophageal reflux disease. World J Gastrointest Pharmacol Ther. 2014 Aug 6;5(3):105-12.

3. Gyawali CP, Yadlapati R, Fass R, Katzka D, Pandolfino J, Savarino E, y et al. Updates to the modern diagnosis of GERD: Lyon consensus 2.0. Gut. 2024 Jan 5;73(2):361-71.

4. Chiocca JC, Olmos JA, Salis GB, Soifer LO, Higa R, Marcolongo M, et al. Prevalence, clinical spectrum and atypical symptoms of gastro-oesophageal reflux in Argentina: a nationwide population-based study. Aliment Pharmacol Ther. 2005 Aug 15;22(4):331-42.

5. Gyawali CP, Kahrilas PJ, Savarino E, Zerbib F, Mion F, Smout AJPM, et al. Modern diagnosis of GERD: The Lyon consensus. Gut. 2018 Jul;67(7):1351-62.

6. Dadgar K, Wang D, Yuan Y, Sinclair P, Sharma P, Armstrong D. Training and assessment of clinician’s utilization of the Los Angeles classification for reflux esophagitis. Foregut (Thousand Oaks). 2025 Mar;5(1):27-34.

7. Zhang D, Liu S, Li Z, Wang R. Global, regional and national burden of gastroesophageal reflux disease, 1990-2019: update from the GBD 2019 study. Ann Med. 2022 Dec;54(1):1372-84.

8. Vakil N, van Zanten SV, Kahrilas P, Dent J, Jones R, Global Consensus Group. The Montreal definition and classification of gastroesophageal reflux disease: a global evidence-based consensus. Am J Gastroenterol. 2006 Aug;101(8):1900-20; quiz 1943.

9. Lundell LR, Dent J, Bennett JR, Blum AL, Armstrong D, Galmiche JP, et al.. Endoscopic assessment of oesophagitis: clinical and functional correlates and further validation of the Los Angeles classification. Gut. 1999 Aug;45(2):172-80.

10. ASGE Standards of Practice Committee, Desai M, Ruan W, Thosani NC, Amaris M, Scott JS, et al. American Society for Gastrointestinal Endoscopy guideline on the diagnosis and management of GERD: summary and recommendations. Gastrointest Endosc. 2025 Feb;101(2):267-84.

11. Katz PO, Dunbar KB, Schnoll-Sussman FH, Greer KB, Yadlapati R, Spechler SJ. ACG clinical guideline for the diagnosis and management of gastroesophageal reflux disease. Am J Gastroenterol. 2022 Jan;117(1):27-56.

12. Kulig M, Leodolter A, Vieth M, Schulte E, Jaspersen D, Labenz J, et al. Quality of life in relation to symptoms in patients with gastro-oesophageal reflux disease-- an analysis based on the ProGERD initiative. Aliment Pharmacol Ther. 2003 Oct 15;18(8):767-76.

Anahí Ayelén de los Rios y col.

13. Spechler SJ, Laine L, DeVault KR, Nabulsi A, Hunt B, Katz P. Comparison of Los Angeles grades of erosive esophagitis scored by local investigators vs central adjudicators in a clinical trial. Clin Gastroenterol Hepatol. 2024 Dec;22(12):2526-8.e1.

14. Olmos JA, Pandolfino JE, Piskorz MM, Zamora N, Valdovinos Díaz MA, Remes Troche JM, et al. Consenso latinoamericano de diagnóstico de la enfermedad por reflujo gastroesofágico. Acta Gastroenterol Latinoam. 2022 Jun 27;52(2):175-240.

15. John J, Taunk P, Jacobs J, Blonski W, Tsalatsanis A, Kumar A. S612 diagnostic accuracy and grading of esophagitis: A cross-sectional analytic study. Am J Gastroenterol. 2024 Oct;119 (10S):S422–S422.

16. Pandolfino JE, Vakil NB, Kahrilas PJ. Comparison of inter- and intraobserver consistency for grading of esophagitis by expert and trainee endoscopists. Gastrointest Endosc. 2002 Nov;56(5) :639-43.

17. Lee SH, Jang BI, Kim KO, Jeon SW, Kwon JG, Kim EY, et al. Endoscopic experience improves interobserver agreement in the grading of esophagitis by Los Angeles classification: conventional endoscopy and optimal band image system. Gut Liver. 2014 Mar;8(2):154-9.

18. Kusano M, Ino K, Yamada T, Kawamura O, Toki M, Ohwada T, et al. Interobserver and intraobserver variation in endoscopic assessment of GERD using the “Los Angeles” classification. Gastrointest Endosc. 1999 Jun;49(6):700-4.

19. Nasseri-Moghaddam S, Razjouyan H, Nouraei M, Alimohammadi M, Mamarabadi M, Vahedi H, et al. Inter- and intra-observer variability of the Los Angeles classification: a reassessment. Arch Iran Med. 2007 Jan;10(1):48-53.

20. Miwa H, Shiotani A, Takeda M, Eda M, Kato T, Yajima T. Health care cost analysis of PPI or P-CAB-first treatment in patients with gastroesophageal reflux disease. J Clin Gastroenterol. 2023 Apr 1;57(4):370-9.

21. Kommuru S, Adekunle F, Niño S, Arefin S, Thalvayapati SP, Kuriakose D, et al. Role of artificial intelligence in the diagnosis of gastroesophageal reflux disease. Cureus. 2024 Jun;16(6):e62206.

22. Ge H, Zhou X, Wang Y, Xu J, Mo F, Chao C, et al. Development and validation of deep learning models for the multiclassification of reflux esophagitis based on the Los Angeles classification. J Healthc Eng. 2023 Feb 18;2023(1):7023731.

23. Wang CC, Chiu YC, Chen WL, Yang TW, Tsai MC, Tseng MH. A deep learning model for classification of endoscopic gastroesophageal reflux disease. Int J Environ Res Public Health. 2021 Mar 2;18(5):2428.

Transaminasas en el primer día poshepatectomía y predicción de resultados en patología maligna

Lourdes Mollard · Rodrigo A Gasque · Magalí Chahdi Beltrame · Marcelo E Lenz Francisco J Mattera · Emilio G Quiñonez

Unidad de Cirugía Hepatobiliar Compleja y Trasplante Hepático.

Hospital El Cruce. Florencio Varela, Provincia de Buenos Aires, Argentina.

Acta Gastroenterol Latinoam 2025;55(4):358-370

Recibido: 23/09/2025 / Aceptado: 15/12/2025 / Publicado online el 23/12/2025 / https://doi.org/10.52787/agl.v55i4.547

Resumen

Introducción. Los avances en la cirugía hepática oncológica han mejorado la radicalidad de los procedimientos y ampliado los criterios de resecabilidad. Las transaminasas pueden ser indicadores de injuria hepatocelular postoperatoria. Objetivos. Evaluar la relación entre las transaminasas del primer día postoperatorio y la morbimortalidad en las hepatectomías por patología maligna. Materiales y métodos. Análisis retrospectivo de hepatectomías por patología maligna entre marzo de 2015 y febrero de 2023.

Correspondencia: Lourdes Mollard Correo electrónico: lourdes.mollard@gmail.com

Se evaluaron variables demográficas, intraoperatorias y postoperatorias. Se determinaron los valores de corte óptimos de transaminasas y su relación con las complicaciones y la mortalidad mediante curvas ROC y cálculos de sensibilidad y especificidad. Resultados. Realizamos 273 hepatectomías en nuestra institución, 118 por patología maligna. Hallamos una relación estadísticamente significativa entre los valores elevados de las transaminasas en el primer día postoperatorio y el desarrollo de la morbimortalidad. Los puntos de corte para predecir mortalidad fueron 856 UI/L para la transaminasa glutámico-oxalacética y 1341 UI/L para la transaminasa glutámico-pirúvica (AUC: 0,714 y 0,579, respectivamente), y 530 UI/L y 257 UI/L para predecir la ocurrencia de complicaciones (AUC: 0,700 y 0,663). Los valores de transaminasas glutámico-oxalacética elevados se asociaron a insuficiencia hepática postoperatoria, con un punto de corte > 856 UI/L (AUC: 0,834). Conclusión. Los valores elevados de transaminasas al primer día postoperatorio se asociaron con mayor ocurrencia de complicaciones, necesidad de hemoderivados y uso de drogas vasoactivas. Una transaminasa glutámico-oxalacética elevada indica un riesgo mayor de insuficiencia hepática postoperatoria y mortalidad a 90 días. Las transaminasas son marcadores pronósticos útiles en las hepatectomías por patología maligna.

Transaminasas en el primer día posthepatectomía y predicción de resultados en patología maligna Lourdes Mollard y col.

Palabras claves. Hepatectomía, complicaciones postoperatorias, mortalidad, aspartato aminotransferasa, alanina aminotransferasa.

Transaminases on the First Day After Hepatectomy and Prediction of Outcomes in Malignant Disease

Summary

Introduction. Advances in oncological liver surgery have improved the radicality of procedures and broadened the criteria for resectability. Transaminases can be indicators of postoperative hepatocellular injury. Objectives. Evaluate the relationship between transaminase levels on the first postoperative day and morbidity and mortality in hepatectomies for malignant disease. Materials and methods. A retrospective analysis was conducted on hepatectomies for malignant disease between March 2015 and February 2023. Demographic, intraoperative, and postoperative variables were evaluated. Optimal transaminase cutoff values and their relationship with complications and mortality were determined using ROC curves and sensitivity and specificity calculations. Results. We performed 273 hepatectomies at our institution, 118 of which were for malignant pathology. We found a statistically significant relationship between elevated transaminase levels on the first postoperative day and the development of morbidity and mortality. The cutoff points for predicting mortality were 856 IU/L for glutamic-oxaloacetic transaminase and 1341 IU/L for glutamic-pyruvic transaminase (AUC: 0,714 and 0,579, respectively), and 530 IU/L and 257 IU/L for predicting the occurrence of complications (AUC: 0,700 and 0,663, respectively). Elevated glutamic-pyruvic transaminase values were associated with postoperative liver failure, with a cutoff point > 856 IU/L (AUC: 0,834). Conclusion. Elevated transaminase values on the first postoperative day are associated with a higher occurrence of complications, the need for blood products and the use of vasoactive drugs. Elevated glutamic-pyruvic transaminase indicates a higher risk of postoperative liver failure and 90-day mortality. Transaminases are useful prognostic markers in hepatectomies for malignant pathology.

Keywords. Hepatectomy, postoperative complications, mortality, aspartate aminotransferase, alanine aminotransferase.

Abreviaturas

MELD: Model for end-stage liver disease.

BCLC: Barcelona Clinic Liver Cancer.

ALPPS: Associating liver partition and portal vein ligation for staged hepatectomy.

AINES: Antiinflamatorios no esteroideos.

GOT: Transaminasa glutámico-oxalacética.

GPT: Transaminasa glutámico-pirúvica.

BT: Bilirrubina total.

TP: Tiempo de protrombina.

ICC: Índice de Comorbilidad de Charlson.

RIN: Radio internacional normalizado.

UTI: Unidad de terapia intensiva.

DS: Desvío estándar.

IQR: Rango intercuartil.

ROC: Receiver operating characteristic.

S: Sensibilidad.

E: Especificidad.

AUC: Area under the curve.

CCR: Cáncer colorrectal.

TNE: Tumor neuroendócrino.

GIST: Tumor del estroma gastrointestinal.

ICG R15: Índice de Retención de Verde de Indocianina a los 15 minutos.

Introducción y objetivos

Los avances en cirugía hepática oncológica en las últimas décadas han sido notables, reflejándose en la mayor radicalidad de los procedimientos y en la expansión de los criterios de resecabilidad de los pacientes. Si bien la tendencia global apunta a un descenso en la mortalidad perioperatoria, con tasas reportadas menores al 5%, la morbilidad se mantiene dentro de valores altos, que varían del 36 al 56% en diferentes centros, 1-5 por lo que continúa siendo una preocupación sustancial. Esto es particularmente cierto en las resecciones

Transaminasas en el primer día posthepatectomía y predicción de resultados en patología maligna Lourdes Mollard y col.

hepáticas por patología maligna, debido a que los pacientes frecuentemente presentan un peor estado general y algún grado de hepatotoxicidad en los casos en los que se realiza quimioterapia previa a la cirugía. 6 Esta área temática se ha investigado extensivamente en un esfuerzo por reducir la morbimortalidad, dando lugar a múltiples estudios de benchmarking . 7, 8 Se han identificado diversos factores de riesgo independientes relacionados con el desarrollo de complicaciones en las resecciones hepáticas. Entre los preoperatorios, se encuentran la edad, las comorbilidades y la funcionalidad hepática; mientras que los intraoperatorios incluyen, entre otros, el requerimiento de transfusiones sanguíneas y la extensión de la resección hepática. 1, 9, 10 Los valores de transaminasas son considerados indicadores fidedignos de injuria hepatocelular postoperatoria, y es habitual su dosaje en forma rutinaria. Se ha estudiado su relación con el desarrollo de complicaciones postoperatorias, pero los resultados disponibles en la bibliografía no han sido concluyentes. 11-15 La determinación temprana de parámetros bioquímicos adecuados podría ayudar a detectar en forma precoz a aquellos pacientes en riesgo de desarrollar complicaciones postoperatorias, y así mejorar los resultados a corto plazo. El objetivo de este trabajo es evaluar la relación entre los valores de transaminasas en el primer día postoperatorio y el desarrollo de la morbilidad y la mortalidad en las hepatectomías llevadas a cabo por patología maligna.

Materiales y métodos

El estudio fue aprobado por el Comité de Ética de nuestra institución y se respetaron los principios de la Declaración de Helsinki. Se realizó un análisis retrospectivo de todas las hepatectomías efectuadas por patología maligna en el período comprendido entre marzo de 2015 y febrero de 2023 en nuestro servicio, registradas en una base de datos institucional completada de forma prospectiva. Debido al tamaño reducido de la muestra y el grupo de interés específico se utilizó un muestreo censal. No fue necesaria la obtención de consentimiento informado por la naturaleza retrospectiva del estudio. Los criterios de inclusión fueron: pacientes mayores a 18 años, confirmación anatomopatológica de malignidad y seguimiento postoperatorio mínimo de 90 días. En cuanto a los pacientes cirróticos, sólo fueron incluidos aquellos con cirrosis compensada, valorada mediante la Clasificación pronóstica de D’Amico (etapas 1 y 2), el Score Child-Pugh (A),

y el Score MELD ( ≤ 9 puntos); un valor de plaquetas mayor a 80000/µL; y un estadio tumoral de la Barcelona Clinic Liver Cancer (BCLC) muy temprano (0) o temprano (A), para garantizar la seguridad de las intervenciones conforme a la evidencia vigente. 16-19 Se excluyeron las biopsias excisionales, los pacientes con seguimiento discontinuo, los casos en los que no se dispusiera de laboratorio al primer día postoperatorio, y aquellos pacientes que requirieron técnicas de modulación del flujo portal (hepatectomía en dos tiempos, ALPPS y sus variantes, y embolización portal preoperatoria) por su mayor morbimortalidad inherente a las técnicas utilizadas. 20-22 Se plantearon y analizaron todos los casos en el comité multidisciplinario de tumores.

Los procedimientos fueron realizados bajo anestesia general. Se utilizó un protocolo de fluidoterapia restrictiva para mantener una presión venosa central menor a 5 mmHg y disminuir el riesgo de sangrado. Los fármacos utilizados en forma habitual fueron propofol, midazolam, rocuronio o atracurio, fentanilo o remifentanilo, de acuerdo al criterio y preferencia del profesional a cargo. En cuanto al abordaje laparoscópico o convencional, la decisión fue tomada individualizando cada caso, considerando el tamaño y la localización tumoral. Se utilizó ecografía sistemáticamente para el mapeo intraoperatorio de las lesiones y sus relaciones con los elementos vasculobiliares. La transección parenquimatosa fue realizada con bisturí armónico, sellador de vasos, aspirador ultrasónico, y suturas mecánicas vasculares. Los fármacos utilizados en forma rutinaria en el postoperatorio fueron protectores gástricos (omeprazol) y analgésicos. De acuerdo al tipo de abordaje se administraron antiinflamatorios no esteroideos (AINES) en forma inicial y luego opiáceos (fentanilo, morfina o tramadol), o únicamente AINES en las intervenciones por vía laparoscópica. Se realizaron determinaciones consecutivas de transaminasas, bilirrubina total y tiempo de protrombina desde el primer día postoperatorio y hasta el quinto día inclusive. Los valores de referencia de laboratorio fueron: transaminasa glutámico-oxalacética (GOT) ≤ 34 UI/L, transaminasa glutámico-pirúvica (GPT) ≤ 55 UI/L, bilirrubina total (BT) ≤ 1,4 mg/dl y tiempo de protrombina (TP) 70-100%.

Se analizaron datos demográficos como edad, sexo, antecedentes patológicos y diagnóstico de cirrosis. Se estratificó a los pacientes en función de sus comorbilidades preexistentes utilizando el Índice de Comorbi -

Transaminasas en el primer día posthepatectomía y predicción de resultados en patología maligna Lourdes Mollard y col.

lidad de Charlson (ICC). Se utilizó un punto de corte igual o mayor a 5 para identificar a aquellos con una sobrevida estimada a 10 años menor al 50%. 23 Se analizó la indicación del procedimiento, la realización preoperatoria de quimioterapia y el tipo de resección según la terminología de Brisbane 2000, que define como hepatectomía mayor a la exéresis de 3 o más segmentos. 24 En cuanto a las variables intraoperatorias, se analizó el tiempo quirúrgico, la utilización de la maniobra de Pringle, el requerimiento transfusional, y la resección concomitante de otros órganos. Las variables postoperatorias analizadas fueron: requerimiento de drogas vasoactivas en el postoperatorio inmediato; dosaje de transaminasas al primer día postoperatorio; transfusión de hemoderivados; estadía en UTI y estadía hospitalaria. Las complicaciones postoperatorias fueron registradas con la escala de Dindo-Clavien, considerando complicaciones menores a aquellas inferiores al grado III. 25 La insuficiencia hepática postoperatoria se definió de acuerdo a 3 modelos validados. El modelo del International Study Group of Liver Surgery (ISGLS) la define como la incapacidad del hígado para mantener sus funciones de síntesis, excreción y detoxificación, caracterizadas por un aumento del radio internacional normalizado (RIN) y la bilirrubina sérica a partir del quinto día postoperatorio inclusive; clasifica su severidad en 3 grados: A, donde se produce una alteración en los parámetros bioquímicos que no condiciona cambios en el manejo postoperatorio habitual, B, que conlleva cambios no agresivos en el manejo postoperatorio habitual, y C, aquella que por su severidad requiere de tratamientos invasivos. 26, 27 El trabajo de Mullen y cols. establece la presencia de insuficiencia hepática postoperatoria a partir de un valor pico de bilirrubina mayor a 7 mg/dl. 28 Por último, se consideraron los criterios 50-50, -que consideran la presencia concomitante de un tiempo de protrombina menor a 50% y bilirrubina sérica total mayor a 50 μmol/L (equivalente a 2,92 mg/dl) al quinto día postoperatorio. 29 Se registró la mortalidad perioperatoria a los 90 días del procedimiento, teniendo en cuenta la evidencia creciente sobre la subestimación de este parámetro cuando se utilizan períodos menores. 30-32

El análisis estadístico se realizó mediante el programa Stata Versión 14.2 (StataCorp ®, 2016). Las variables continuas se describieron utilizando mediana y rango, o media y desvío estándar, según correspondiera. Las variables discretas fueron descritas mediante valores absolutos y porcentajes. Se utilizaron el t-test para muestras independientes, el test Mann-Whitney

U y el test de correlación de Spearman para las variables continuas; y el test de Chi 2 para las categóricas. Se analizaron las variables relacionadas con el desarrollo de complicaciones y la mortalidad. Se examinaron las variables asociadas al aumento de las transaminasas en el primer día postoperatorio. Se construyó una curva ROC para determinar el valor de corte óptimo de GOT y GPT en relación al desarrollo de complicaciones y a la mortalidad; con este valor se calculó sensibilidad (S) y especificidad (E). Se midió el área bajo la curva para evaluar la capacidad diagnóstica del test.

Resultados

En el período estudiado, sobre un total de 273 hepatectomías, 118 (43,2%) fueron por patología maligna. Las indicaciones quirúrgicas más frecuentes fueron metástasis de cáncer colorrectal (36,4%) seguidas de hepatocarcinoma (34,8%). Las principales etiologías pueden observarse en la Tabla 1. Hubo predominio masculino (n = 65, 55,1%). La media de edad fue de 58 ± 13,4 años. En 26 casos (22%) se trató de pacientes cirróticos, siendo la principal etiología la infección por hepatitis C (61,5%), seguida del alcohol (15,4%).

Tabla 1. Indicaciones quirúrgicas

*Cáncer colorrectal. **Tumor neuroendócrino. ***Tumor del estroma gastrointestinal.

Transaminasas en el primer día posthepatectomía y predicción de resultados en patología maligna Lourdes Mollard y col.

Veinte pacientes (76,9%) correspondieron al estadio BCLC A, mientras que 6 (23,1%) al estadio BCLC 0. Ochenta y cinco pacientes (72%) presentaron un ICC ≥ 5 puntos. Treinta y cinco pacientes (29,7%) habían realizado quimioterapia previamente. El abordaje fue convencional en 98 casos (83,1%) y laparoscópico en 20 (16,9%), con 8 conversiones (6,8%). Las cirugías efectuadas fueron hepatectomías mayores en 56 casos (47,5%). En 16 pacientes (13,6%) se llevaron a cabo resecciones combinadas de otros órganos. La mediana de tiempo quirúrgico fue de 240 minutos (r: 180-300). La mediana de estadía

Tabla 2. Complicaciones por grado

Tipo de complicación

Sobrecarga (2)

Ascitis (3)

Fístula biliar (4)

Falla renal (1)

Síndrome febril (3)

Derrame pleural (1)

Arritmia (4)

Neumonía intrahospitalaria (4)

Infección de herida (4)

Reagudización asmática (1)

de EPOC* (1)

Diarrea por Clostridium Difficile (1)

Hipertensión arterial severa (1)

Tromboflebitis (2)

Sangrado médico (5)

Biloma (2)

Absceso intraabdominal (5)

Derrame pleural complicado (2)

Dehiscencia de anastomosis colorrectal (2)

Evisceración (1)

IRA con requerimiento de diálisis (2)

Intubación prolongada (1)

Reintubación por deterioro del sensorio (1)

(1)

Hematoma subdural agudo (1)

Shock séptico (3)

Falla hepática postoperatoria grado C (3)

Falla multiorgánica (1)

Progresión de enfermedad (1)

Causa desconocida (2)

*Enfermedad pulmonar obstructiva crónica.

en UTI fue de 3 días (r: 2-5), y la de días de internación fue de 6 (r: 4-11). Cuarenta y cuatro pacientes (37,3%) requirieron transfusiones intraoperatorias de hemoderivados, mientras que 21 (17,8%) las recibieron en el postoperatorio. Cinco pacientes (4,2%) requirieron vasopresores en el postoperatorio inmediato. La morbilidad fue del 55,1% (65 pacientes), y la incidencia de complicaciones mayores fue de 23,7%. Las complicaciones estratificadas por grado pueden observarse en la Tabla 2. La incidencia de insuficiencia hepática postoperatoria fue de 4,2%, correspondiendo dos casos al Grado A y tres al Grado C.

Grado n %

Once pacientes fallecieron, siendo la mortalidad global del 9,3%. Los valores de transaminasas y su correlación se ilustran en la Figura 1. El análisis estadístico halló una relación significativa entre el desarrollo de complicaciones y los valores de GOT (mediana 387, r: 243-872 vs. mediana 245, r: 143-437, p = 0,0002) y GPT (mediana 392 r: 274634 vs. 257 r: 155-421, p = 0,0024), el requerimien -

to intra y postoperatorio de hemoderivados (ambas p << 0,001) y el requerimiento de drogas vasoactivas en el postoperatorio inmediato ( p = 0,039). No se hallaron diferencias significativas en cuanto a edad, sexo, comorbilidades, diagnóstico de cirrosis , tratamiento quimioterápico previo, magnitud de la hepatectomía, resección combinada de otros órganos y rehepatectomía (Tabla 3).

A: Correlación de los niveles de transaminasas en el primer día postoperatorio. B: Niveles de transaminasas con sus respectivos valores de resumen.

Tabla 3. Factores relacionados con el desarrollo de complicaciones

Test utilizados: 1Mann-Whitney U, 2T-Test, 3Chi2

Figura 1.

Transaminasas en el primer día posthepatectomía y predicción de resultados en patología maligna Lourdes Mollard y col.

Respecto a la mortalidad, los resultados arrojaron diferencias estadísticamente significativas en los valores de GOT (mediana 863, r: 301-994 vs. mediana 305, r: 196-606, p = 0,0197), el requerimiento intra y postoperatorio de hemoderivados ( p = 0,011 y p << 0,001, respectivamente), y el requerimiento de drogas vasoactivas en el postoperatorio inmediato ( p = 0,016).

No se hallaron otras diferencias estadísticamente significativas (Tabla 4).

Tabla 4. Factores relacionados con mortalidad a 90 días

Test utilizados: 1Mann-Whitney U, 2T-Test, 3Chi2

Se halló una asociación estadísticamente significativa entre los valores de GOT al primer día postoperatorio y el desarrollo de insuficiencia hepática postoperatoria (mediana 947, r: 863-994 vs. mediana 305, r: 200-606, p = 0,0118), no así para los valores de GPT (mediana 516, r: 307-544 vs. mediana 324, r: 179-549, p = 0,3531).

Se realizó un análisis de la curva ROC (Figura 2) para examinar el valor predictivo de los niveles de GOT y GPT en el primer día postoperatorio como indicadores de mortalidad quirúrgica a los 90 días. Los valores del área bajo la curva (AUC) para GOT y GPT predictores de mortalidad fueron 0,714 y 0,579, respectivamente; siendo el primero clasificado como aceptable y el segundo como regular. Se determinaron los valores de corte óptimos para la predicción de mortalidad postoperatoria utilizando los niveles de GOT y GPT en toda la

cohorte, los cuales fueron de 856 (sensibilidad 54,6%, especificidad 93%) y 1341 (sensibilidad 27,3%, especificidad 97,2%) UI/L, respectivamente.

Se llevó a cabo un análisis de la curva ROC (Figura 3) para examinar el valor predictivo de los niveles de GOT y GPT en el primer día postoperatorio como indicadores de ocurrencia de complicaciones quirúrgicas. Los valores del área bajo la curva para GOT y GPT predictores de morbilidad fueron 0,700 y 0,663, respectivamente, siendo el primero clasificado como valor predictivo aceptable y el segundo como regular. Se determinaron los valores de corte óptimos para la predicción de ocurrencia de complicaciones postoperatorias utilizando los niveles de GOT y GPT en toda la cohorte, los cuales fueron de 530 (sensibilidad 41,5%, especificidad 88,7%) y 257 (sensibilidad 78,5%, especificidad 50,9%) UI/L, respectivamente.

Transaminasas en el primer día posthepatectomía y predicción de resultados en patología maligna Lourdes Mollard y col.

2.

Correlación de los niveles de transaminasas al primer día postoperatorio con mortalidad a los 90 días para GOT (A) y GPT (B).

3.

de

= 0,579

= 0,663

= 0,001

- Especificidad

Correlación de los niveles de transaminasas al primer día postoperatorio con ocurrencia de complicaciones quirúrgicas para GOT (A) y GPT (B).

El análisis de la curva ROC (Figura 4) para evaluar el poder predictivo de GOT en el primer día postoperatorio como indicador de insuficiencia hepática reveló un área

bajo la curva de 0,834, que se traduce en un valor predictivo sobresaliente. Se determinó un valor de corte óptimo para GOT > 856 UI/L (sensibilidad 80%, especificidad 85%).

Figura
Figura

4.

Correlación de los niveles de GOT al primer día postoperatorio con ocurrencia de insuficiencia hepática.

Se analizaron las variables relacionadas a los niveles elevados de GOT. El test de correlación de Spearman evidenció una relación positiva entre los valores de GOT al primer día postoperatorio y el tiempo quirúrgico (rho: 0,4663, p << 0.001). Otros factores que se asociaron a mayores niveles de la enzima fueron las hepatectomías mayores (mediana 492,5 r: 303,5 vs. mediana 223,5 r: 156-387, p << 0,001), el requerimiento de drogas vasoactivas en el postoperatorio inmediato (mediana 1604 r: 1314-2388 vs. mediana 305 r: 200-530, p = 0,004), la realización de la maniobra de Pringle (mediana 477 r: 273-884 vs. mediana 302,5 r: 178-528, p = 0,0046), las transfusiones de hemoderivados intra (mediana 483 r: 269-982,5 vs. mediana 270 r: 157-437, p = 0,0001) y postoperatorias (mediana 492 r: 306-947 vs. mediana 299 r:184-528, p = 0,009) y la ausencia de cirrosis (mediana 346,5 r: 221,5-708,5 vs. mediana 214 r: 156-324, p = 0,0154).

Los valores de GPT al primer día postoperatorio también mostraron una relación positiva con el tiempo quirúrgico (rho: 0.3984, p << 0.001), las hepatectomías mayores (mediana 437,5 r: 308-692 vs. mediana 255 r: 139-365, p << 0,01), el uso de drogas vasoactivas en el postoperatorio inmediato (mediana 1341 r: 803-1905 vs. mediana 137 r: 179-517, p = 0,0008),

la realización de maniobra de Pringle (mediana 437,5 r: 307-757,5 vs. mediana 311 r: 163-517, p = 0,0029), la ausencia de cirrosis (mediana 355,5 r: 256,5-605 vs. mediana 191 r:109-324, p = 0,0005) y la transfusión de hemoderivados intraoperatorios (mediana: 437,5 r: 297,5-735 vs. mediana 299,5 r: 155-471, p = 0,0007), no así con los hemoderivados postoperatorios (mediana 410 r: 289-544 vs. 317 r: 188-549, p = 0,1930).

Discusión

Al analizar los resultados globales de nuestra serie, llama la atención el valor de mortalidad postoperatoria, que es aproximadamente el doble de lo reportado en la bibliografía.2,5 Atribuimos esto a varios factores: por un lado, se trata de una población con múltiples comorbilidades, como evidencia el hecho de que 72% de los pacientes presentaban un ICC ≥ 5. Además, la muestra estuvo conformada exclusivamente por patología neoplásica maligna, lo que acarrea un peor estado nutricional y performance status. Por otro lado, al ser nuestro centro una institución pública, la gran mayoría de la población hospitalaria presenta un bajo nivel socioeconómico, que frecuentemente conlleva demoras en el acceso a la atención y diagnóstico, lo que impacta directamente en el estadio y el pronóstico de su patología. Finalmente, esta muestra es heterogénea, e incluye casos de cirugía hepática extrema, que requirieron exclusión vascular total y reconstrucción venosa, los cuales se asocian a una mayor mortalidad.33

Luego de una resección hepática, las transaminasas experimentan una elevación en sus niveles, que habitualmente alcanza su pico en el primer día postoperatorio, para luego disminuir paulatinamente.34 Esta elevación es considerada un marcador de daño hepatocelular y, como tal, probablemente tenga una etiología multifactorial. La lesión por isquemia-reperfusión juega un rol conocido, siendo el paradigma de esto la realización de la maniobra de Pringle. Aunque el clampeo intermitente del pedículo ha demostrado contribuir en la elevación de transaminasas,35 es probable que por sí solo tenga un efecto menor en los niveles máximos de las enzimas. Este efecto resulta más pronunciado en asociación con la esteatosis hepática;36 sin embargo, en la bibliografía disponible no es habitual que se detalle el aspecto macroscópico o las características histológicas del hígado de los pacientes operados. El tiempo quirúrgico también ha demostrado ser un elemento condicionante de estos valores.34 Además, la manipulación del hígado en sí misma puede provocar lesión hepatocelular, como se ha informado anteriormente, lo cual probablemente sea

Figura

Transaminasas en el primer día posthepatectomía y predicción de resultados en patología maligna Lourdes Mollard y col.

un factor determinante más importante en las cirugías hepáticas más largas y complejas, debido a una manipulación hepática más extensa.37-38 En nuestra serie, esto se pone de manifiesto en la relación positiva hallada entre los valores crecientes de transaminasas con el tiempo quirúrgico y la realización de hepatectomías mayores. Todos estos factores podrían contribuir a los resultados contradictorios en varios informes sobre el valor predictivo de los niveles de GOT y GPT.

De todos modos, la bibliografía disponible sobre esta temática es reducida. En un estudio de Olthof y cols.,15 donde se incluyeron 539 resecciones hepáticas, se encontró que los niveles pico de transaminasas postoperatorias estuvieron asociados a complicaciones de grado III o superiores en la escala de Dindo-Clavien y a mayor requerimiento de transfusiones intraoperatorias. En esta cohorte se estableció como punto de corte de GOT para predecir la mortalidad 828 UI/L, con un área bajo la curva de 0,81 (0,73 - 0,89); el mismo fue un predictor independiente de mortalidad postoperatoria (p < 0,01). Grat y cols.13 observaron, en una serie retrospectiva de 236 pacientes sometidos a resección hepática por metástasis de cáncer colorrectal, una asociación entre los valores de GOT y la mortalidad a 90 días, con un punto de corte de GOT a partir de 798 U/l (S 62,5%, E 90,4%); sin embargo, hallaron como mejor predictor de morbilidad el valor de bilirrubina al primer día postoperatorio. Un estudio publicado en 2021 por De Klein y cols.14 demostró que la GOT, pero no la GPT, es un factor predictivo independiente de morbilidad mayor (p = 0,017) y que la probabilidad de complicaciones mayores aumenta significativamente en relación a los aumentos de GOT. Bhogal y cols.12 estudiaron exclusivamente los valores de GPT al primer día postoperatorio como predictor de morbimortalidad en pacientes con metástasis de origen colorrectal, pero tampoco pudieron demostrar su correlación. Estos hallazgos se encuentran en sintonía con los resultados del presente estudio. Analizando el área bajo la curva, encontramos que los valores predictivos de morbilidad y mortalidad para GOT resultan aceptables, no así los de GPT, cuya capacidad discriminatoria es regular; por este motivo no consideramos que la GPT sea un parámetro confiable para clasificar a los pacientes en bajo o alto riesgo. Por otro lado, observamos que el punto de corte óptimo de GOT para predecir mortalidad en nuestra serie fue de 856 UI/L, similar al reportado por Olthof y cols. En el subgrupo de pacientes cirróticos, no hallamos diferencias en cuanto al desarrollo de complicaciones y mortalidad, aunque tanto la mediana de GOT

como la de GPT fueron menores respecto a los no cirróticos, con una diferencia estadísticamente significativa. Suponemos que esto puede deberse a dos factores: por un lado, en su mayoría se trató de hepatectomías menores; por otro, la liberación de transaminasas postoperatoria responde a la injuria hepatocitaria. En un hígado cirrótico, donde gran parte del parénquima está sustituido por tejido fibrocicatrizal, sería lógico suponer que esta liberación de enzimas y, por lo tanto, su valor absoluto, sea menor. Esta teoría podría respaldarse considerando los hallazgos de Giovannini y cols.,34 que analizan los componentes de la hipertransaminasemia luego de una resección hepática, y muestran una relación inversa entre los picos de transaminasas y la presencia de cirrosis. Asimismo, un estudio de Fung y cols.,39 que analiza la utilidad del Índice de Retención de Verde de Indocianina a los 15 minutos (ICG R15) en la ocurrencia de complicaciones, mostró valores postoperatorios pico de transaminasas menores en pacientes que tenían un ICG R15 mayor a 10%, es decir, con menor reserva funcional hepática (GOT 294 UI/L vs. 521 UI/L, p = 0,029 y GPT 154 UI/L vs. 481 UI/L, p = 0,002).

De cualquier manera, inferimos que la medición de enzimas como predictor de morbimortalidad probablemente presente una menor sensibilidad en cirróticos, y por ende sus valores deberían ser interpretados con cautela en este grupo.

Otro hallazgo relevante en nuestra serie fue la asociación entre los valores de GOT y el desarrollo de insuficiencia hepática postoperatoria. Esta relación ya había sido reportada por Vassanasiri y cols.40 que, en una población de 890 pacientes, demostraron que los puntos de corte para GOT de 260 UI/L y GPT de 270 UI/L fueron predictores independientes de insuficiencia hepática postoperatoria. En nuestro caso, el punto de corte difiere considerablemente, siendo de 856 UI/L. Sin embargo, el área bajo la curva refleja valores predictivos óptimos. Dado que las definiciones actuales de insuficiencia hepática postoperatoria toman como referencia los parámetros bioquímicos a partir del quinto día postoperatorio, consideramos que puede ser de suma utilidad disponer de un indicador temprano, como lo son las enzimas al primer día postoperatorio. Teniendo en cuenta la potencial severidad de esta entidad, y siendo su tratamiento fundamentalmente clínico y de soporte, una alerta precoz puede cambiar el pronóstico sustancialmente, favoreciendo el monitoreo minucioso de la evolución del paciente y evitando dilaciones en la toma de conductas agresivas.

Transaminasas en el primer día posthepatectomía y predicción de resultados en patología maligna

Boissel y cols.41 describieron las tres principales características para considerar adecuado un marcador subrogado. La primera es la conveniencia, es decir, debe ser accesible y presentarse con mayor frecuencia que la variable de resultado en cuestión. La segunda es la relación entre el marcador y la variable de resultado; ésta debe ser bien establecida, cualitativa y cuantitativamente, a través de estudios epidemiológicos relevantes. Por último, se encuentra la estimación del beneficio clínico, es decir, los marcadores subrogados deben poder producir estimaciones de riesgo y beneficio paralelas a las variables de resultado que sustituyen. Consideramos que el dosaje de transaminasas en el primer día postoperatorio cumple con los postulados enunciados, al tratarse de una determinación de laboratorio fácilmente reproducible, de bajo costo, y cuya asociación con el desarrollo de complicaciones y mortalidad ha sido evidenciada en los resultados de nuestra serie. Sabemos, no obstante, que la estimación de riesgo debe ser mejor establecida mediante la realización de ensayos clínicos aleatorizados. Por otro lado, reconocemos algunas limitaciones en el presente estudio. En primer lugar, debido a su naturaleza retrospectiva, puede haber existido un sesgo de selección. En segundo lugar, las características de los pacientes sometidos a hepatectomía pueden ser heterogéneas. Finalmente, la población en estudio era pequeña, lo que resultó en un número relativamente reducido que podría haber afectado el poder del análisis. Sin embargo, esperamos que este trabajo pueda oficiar como punto de partida para profundizar los estudios en este campo de investigación.

Conclusión

En conclusión, encontramos una asociación significativa entre niveles elevados de GOT y GPT y la aparición de complicaciones quirúrgicas, así como la necesidad de hemoderivados y el uso de drogas vasoactivas en el postoperatorio inmediato. Además, los niveles altos de GOT se relacionaron con un mayor riesgo de insuficiencia hepática postoperatoria y mortalidad a los 90 días. Los valores predictivos de GOT para la mortalidad y las complicaciones fueron moderados, pero óptimos para la insuficiencia hepática postoperatoria. De estos resultados se desprende que los niveles de transaminasas son útiles como marcadores pronósticos en pacientes sometidos a hepatectomías por patología maligna.

las figuras y las tablas presentes en el manuscrito son originales y se realizaron en sus instituciones pertenecientes.

Financiamiento. Los autores declaran que no hubo fuentes de financiación externas.

Conflicto de interés. Los autores declaran no tener conflictos de interés en relación con este artículo.

Aviso de derechos de autor © 2025 Acta Gastroenterológica Latinoamericana. Este es un artículo de acceso abierto publicado bajo los términos de la Licencia Creative Commons Attribution (CC BY-NC-SA 4.0), la cual permite el uso, la distribución y la reproducción de forma no comercial, siempre que se cite al autor y la fuente original

Cite este artículo como: Mollard L, Gasque R A, Chahdi Beltrame M y col. Transaminasas en el primer día poshepatectomía y predicción de resultados en patología maligna. Acta Gastroenterol Latinoam. 202 5 ;5 5 ( 4 ): 358370 . https://doi.org/10.52787/agl.v55i4.547

Referencias

1. Jarnagin WR, Gonen M, Fong Y, DeMatteo RP, Ben-Porat L, Little S, Corvera C, Weber S, & Blumgart LH. Improvement in perioperative outcome after hepatic resection: analysis of 1,803 consecutive cases over the past decade. Ann Surg. 2002; 236(4):397-407.

2. Botea F, Ionescu M, Braşoveanu V, Hrehoreţ D, Alexandrescu S, Grigorie M, Stanciulea O, Nicolaescu D, Tomescu D, Droc G, Ungureanu D, Fota R, Croitoru A, Gheorghe L, Gheorghe C, Lupescu I, Grasu M, Boroş M, Dumitru R, Toma M, Herlea V, Popescu I. Liver Resections in a High-Volume Center: Form Standard Procedures to Extreme Surgery and Ultrasound-guided Resections. Chirurgia (Bucur). 2017 May-Jun;112(3):259-277.

3. Dokmak S, Ftériche FS, Borscheid R, Cauchy F, Farges O, Belghiti J. 2012 Liver resections in the 21st century: we are far from zero mortality. HPB (Oxford). 2013 Nov;15(11):908-15.

Propiedad intelectual. Los autores declaran que los datos,

4. Franken LC, Schreuder AM, Roos E, van Dieren S, Busch OR, Besselink MG, van Gulik TM. Morbidity and mortality after major liver resection in patients with perihilar cholangiocarcinoma: A systematic review and meta-analysis. Surgery. 2019 May;165(5):918-928.

Lourdes Mollard y col.

Transaminasas en el primer día posthepatectomía y predicción de resultados en patología maligna Lourdes Mollard y col.

5. Azoulay D, Bhangui P, Pascal G, Salloum C, Andreani P, Ichai P, Saliba F, Lim C. The impact of expanded indications on short-term outcomes for resection of malignant tumours of the liver over a 30 year period. HPB (Oxford). 2017 Jul;19(7): 638-648.

6. Mahlmann JC, Wirth TC, Hartleben B, Schrem H, Mahlmann JF, Kaltenborn A, Klempnauer J, Kulik U. Chemotherapy and Hepatic Steatosis: Impact on Postoperative Morbidity and Survival after Liver Resection for Colorectal Liver Metastases. Visc Med. 2021 Jun;37(3):198-205.

7. Bagante F, Ruzzenente A, Beal EW, Campagnaro T, Merath K, Conci S, Akgül O, Alexandrescu S, Marques HP, Lam V, Shen F, Poultsides GA, Soubrane O, Martel G, Iacono C, Guglielmi A, Pawlik TM. Complications after liver surgery: a benchmark analysis. HPB (Oxford). 2019 Sep;21(9):1139-1149.

8. Rössler F, Sapisochin G, Song G, Lin YH, Simpson MA, Hasegawa K, Laurenzi A, Sánchez Cabús S, Nunez MI, Gatti A, Beltrame MC, Slankamenac K, Greig PD, Lee SG, Chen CL, Grant DR, Pomfret EA, Kokudo N, Cherqui D, Olthoff KM, Shaked A, García-Valdecasas JC, Lerut J, Troisi RI, De Santibanes M, Petrowsky H, Puhan MA, Clavien PA. Defining Benchmarks for Major Liver Surgery: A multicenter Analysis of 5202 Living Liver Donors. Ann Surg. 2016 Sep;264(3):492-500.

9. Aloia TA, Fahy BN, Fischer CP, Jones SL, Duchini A, Galati J, Gaber AO, Ghobrial RM, Bass BL. Predicting poor outcome following hepatectomy: analysis of 2313 hepatectomies in the NSQIP database. HPB (Oxford). 2009 Sep;11(6):510-5.

10. Vasavada B, Patel K. Postoperative Morbidity after Liver Resection - A Systemic Review, Meta-analysis and Metaregression of Factors Affecting Them. Surg Chron 2022; 27(2): 143-149

11. Boleslawski E, Vibert E, Pruvot FR, Le Treut YP, Scatton O, Laurent C, Mabrut JY, Régimbeau JM, Adham M, Cosse C, Farges O. Relevance of postoperative peak transaminase after elective hepatectomy. Ann Surg. 2014 Nov;260(5):815-20; discussion 820-1.

12. Bhogal RH, Nair A, Papis D, Hamady Z, Ahmad J, Lam FT, Khan S, Marangoni G. Postoperative day one serum alanine aminotransferase does not predict patient morbidity and mortality after elective liver resection in non-cirrhotic patients. Hepatobiliary Pancreat Dis Int. 2016 Dec;15(6):655-659.

13. Grąt M, Hołówko W, Lewandowski Z, Kornasiewicz O, Barski K, Skalski M, Zieniewicz K, Krawczyk M. Early post-operative prediction of morbidity and mortality after a major liver resection for colorectal metastases. HPB (Oxford). 2013 May;15 (5):352-8.

14. de Klein GW, Brohet RM, Liem MSL, Klaase JM. Post-operative Day 1 Serum Transaminase Levels in Relation to Morbidity After Liver Resection. World J Surg. 2022;46(2):433-440.

15. Olthof PB, Huiskens J, Schulte NR, Wicherts DA, Besselink MG, Busch OR, Heger M, van Gulik TM. Postoperative peak transaminases correlate with morbidity and mortality after liver resection. HPB (Oxford). 2016 Nov;18(11):915-921.

16. D'Amico G, Garcia-Tsao G, Pagliaro L. Natural history and prognostic indicators of survival in cirrhosis: a systematic review of 118 studies. J Hepatol. 2006 Jan;44(1):217-31.

17. Lee JS, Choi HW, Kim JS, Lee TY, Yoon YC. Update on Resection Strategies for Hepatocellular Carcinoma: A Narrative Review. Cancers (Basel). 2024 Dec 6;16(23):4093.

18. Delis SG, Bakoyiannis A, Biliatis I, Athanassiou K, Tassopoulos N, Dervenis C. Model for end-stage liver disease (MELD) score, as a prognostic factor for post-operative morbidity and mortality in cirrhotic patients, undergoing hepatectomy for hepatocellular carcinoma. HPB (Oxford). 2009 Jun;1 (4):351-7.

19. Elshaarawy O, Aman A, Zakaria HM, Zakareya T, Gomaa A, Elshimi E, Abdelsameea E. Outcomes of curative liver resection for hepatocellular carcinoma in patients with cirrhosis. World J Gastrointest Oncol. 2021 May 15;13(5):424-439.

20. Torzilli G, Viganò L, Cimino M, Imai K, Vibert E, Donadon M, Mansour D, Castaing D, Adam R. Is Enhanced One-Stage Hepatectomy a Safe and Feasible Alternative to the Two-Stage Hepatectomy in the Setting of Multiple Bilobar Colorectal Liver Metastases? A Comparative Analysis between Two Pioneering Centers. Dig Surg. 2018;35(4):323-332.

21. Torzilli G, Serenari M, Viganò L, Cimino M, Benini C, Massani M, Ettorre GM, Cescon M, Ferrero A, Cillo U, Aldrighetti L, Jovine E. Outcomes of enhanced one-stage ultrasound-guided hepatectomy for bilobar colorectal liver metastases compared to those of ALPPS: a multicenter case-match analysis. HPB (Oxford). 2019 Oct;21(10):1411-1418.

22. Ironside N, Bell R, Bartlett A, McCall J, Powell J, Pandanaboyana S. Systematic review of perioperative and survival outcomes of liver resections with and without preoperative portal vein embolization for colorectal metastases. HPB (Oxford). 2017 Jul;19(7):559-566.

23. Charlson ME, Pompei P, Ales KL, MacKenzie CR. A new method of classifying prognostic comorbidity in longitudinal studies: development and validation. J Chronic Dis. 1987;40(5) :373-83.

24. Pang YY. The Brisbane 2000 terminology of liver anatomy and resections. HPB 2000; 2:333-39. HPB (Oxford). 2002;4(2):99; author reply 99-100

25. Dindo D, Demartines N, Clavien PA. Classification of surgical complications: a new proposal with evaluation in a cohort of 6336 patients and results of a survey. Ann Surg. 2004;240(2) :205-213.

26. Rahbari NN, Garden OJ, Padbury R, Brooke-Smith M, Crawford M, Adam R, Koch M, Makuuchi M, Dematteo RP, Christophi C, Banting S, Usatoff V, Nagino M, Maddern G, Hugh TJ, Vauthey JN, Greig P, Rees M, Yokoyama Y, Fan ST, Nimura Y, Figueras J, Capussotti L, Büchler MW, Weitz J. Posthepatectomy liver failure: a definition and grading by the International Study Group of Liver Surgery (ISGLS). Surgery. 2011 May;149(5):713-24.

27. Sultana A, Brooke-Smith M, Ullah S, Figueras J, Rees M, Vauthey JN, Conrad C, Hugh TJ, Garden OJ, Fan ST, Crawford M, Makuuchi M, Yokoyama Y, Büchler M, Padbury R. Prospective evaluation of the International Study Group for Liver Surgery definition of post hepatectomy liver failure after liver resection: an international multicentre study. HPB (Oxford). 2018 May;20(5):462-469.

28. Mullen JT, Ribero D, Reddy SK, Donadon M, Zorzi D, Gautam S, Abdalla EK, Curley SA, Capussotti L, Clary BM, Vauthey JN. Hepatic insufficiency and mortality in 1,059 noncirrhotic patients undergoing major hepatectomy. J Am Coll Surg. 2007 May;204(5):854-62; discussion 862-4.

Transaminasas en el primer día posthepatectomía y predicción de resultados en patología maligna Lourdes Mollard y col.

29. Balzan S, Belghiti J, Farges O, Ogata S, Sauvanet A, Delefosse D, Durand F. The "50-50 criteria" on postoperative day 5: an accurate predictor of liver failure and death after hepatectomy. Ann Surg. 2005 Dec;242(6):824-8, discussion 828-9.

30. Mayo SC, Shore AD, Nathan H, Edil BH, Hirose K, Anders RA, Wolfgang CL, Schulick RD, Choti MA, Pawlik TM. Refining the definition of perioperative mortality following hepatectomy using death within 90 days as the standard criterion. HPB (Oxford). 2011 Jul;13(7):473-82.

31. Egger ME, Ohlendorf JM, Scoggins CR, McMasters KM, Martin RC 2nd. Assessment of the reporting of quality and outcome measures in hepatic resections: a call for 90-day reporting in all hepatectomy series. HPB (Oxford). 2015 Sep;17(9):839-45.

32. Schiergens TS, Dörsch M, Mittermeier L, Brand K, Küchenhoff H, Lee SM, Feng H, Jauch KW, Werner J, Thasler WE. Thirty-day mortality leads to underestimation of postoperative death after liver resection: A novel method to define the acute postoperative period. Surgery. 2015 Dec;158(6):1530-7.

33. Azoulay D, Pascal G, Salloum C, Adam R, Castaing D, Tranecol N. Vascular reconstruction combined with liver resection for malignant tumours. Br J Surg. 2013 Dec;100(13):1764-75.

34. Giovannini I, Chiarla C, Giuliante F, Vellone M, Ardito F, Sarno G, Nuzzo G. Analysis of the components of hypertransaminasemia after liver resection. Clin Chem Lab Med. 2007;45 (3):357-60.

35. Gurusamy KS, Sheth H, Kumar Y, Sharma D, Davidson BR. Methods of vascular occlusion for elective liver resections. Cochrane Database Syst Rev. 2009 Jan 21;(1):CD007632.

36. Belghiti J, Noun R, Malafosse R, Jagot P, Sauvanet A, Pierangeli F, Marty J, Farges O. Continuous versus intermittent portal triad clamping for liver resection: a controlled study. Ann Surg. 1999 Mar;229(3):369-75.

37. van den Broek MA, Shiri-Sverdlov R, Schreurs JJ, Bloemen JG, Bieghs V, Rensen SS, Dejong CH, Olde Damink SW. Liver manipulation during liver surgery in humans is associated with hepatocellular damage and hepatic inflammation. Liver Int. 2013 Apr;33(4):633-41.

38. van de Poll MC, Derikx JP, Buurman WA, Peters WH, Roelofs HM, Wigmore SJ, Dejong CH. Liver manipulation causes hepatocyte injury and precedes systemic inflammation in patients undergoing liver resection. World J Surg. 2007 Oct;31(10) :2033-8.

39. Fung J, Poon RT, Yu WC, Chan SC, Chan AC, Chok KS, Cheung TT, Seto WK, Lo CM, Lai CL, Yuen MF. Use of liver stiffness measurement for liver resection surgery: correlation with indocyanine green clearance testing and post-operative outcome. PLoS One. 2013 Aug 28;8(8):e72306.

40. Vassanasiri W, Rungsakulkij N, Suragul W, Tangtawee P, Muangkaew P, Mingphruedhi S, Aeesoa S. Early postoperative serum aspartate aminotransferase for prediction of post-hepatectomy liver failure. Perioper Med (Lond). 2022 Oct 7;11(1):51.

41. Boissel JP, Collet JP, Moleur P, Haugh M. Surrogate endpoints: a basis for a rational approach. Eur J Clin Pharmacol. 1992;43(3):235-44.

Prevalencia de Helicobacter pylori y hallazgos

endoscópicos e histopatológicos en pacientes obesos candidatos a cirugía bariátrica

Ruby M Martínez Ramírez 1 · Ángel Nadales 1 · Mónica X Martínez Ramírez 2 · Ariel

Siles Vásquez 1 · María José Mejía Díazgranados 1

¹ Servicio de Gastroenterología, Hospital Universitario Austral, Pilar, Prov. de Buenos Aires, Argentina. ² Servicio de Cirugía, Hospital Dr. César Milstein, Ciudad Autónoma de Buenos Aires, Argentina.

Acta Gastroenterol Latinoam 2025;55(4):371-378

Recibido: 11/11/2025 / Aceptado: 16/12/2025 / Publicado online el 23/12/2025 / https://doi.org/10.52787/agl.v55i4.564

Resumen

Introducción. La prevalencia de Helicobacter pylori en pacientes obesos ha sido escasamente documentada, especialmente en contextos con adecuado acceso sanitario. En estos pacientes, la ausencia de lesiones visibles durante la endoscopía puede llevar a subestimar alteraciones histológicas relevantes si no se realizan biopsias sistemáticas. Existen pocos estudios locales que caractericen esta población, lo que motiva la necesidad de esta investigación. Objetivo. Estimar la prevalencia de Helicobacter pylori y describir los hallazgos endoscópicos e histopatológicos, así como las variables sociodemográficas, en pacientes obesos

Correspondencia: Ruby M. Martínez Ramírez Correo electrónico: rumartin@cas.austral.edu.ar

candidatos a cirugía bariátrica en el Hospital Universitario Austral. Materiales y métodos. Estudio observacional, descriptivo, transversal y retrospectivo realizado sobre una cohorte de pacientes sometidos a cirugía bariátrica entre 2022 y 2024. Se incluyeron aquellos con esofagogastroduodenoscopía completa y biopsias gástricas según el protocolo de Sídney. Se analizaron los hallazgos endoscópicos, el diagnóstico histopatológico y la presencia o no del H. pylori en los pacientes, estratificados por sexo y grado de obesidad. Resultados. De 418 pacientes operados en nuestra institución, fueron incluidos en el análisis 326 (78%) que contaban con esofagogastroduodenoscopía con biopsias gástricas. El resto presentaba esofagogastroduodenoscopía sin biopsias, o no se les había realizado el procedimiento. Se identificaron lesiones endoscópicas en el 60,1% de los casos, siendo las más frecuentes las erosiones gástricas (35,5%) y la esofagitis erosiva (18,1%). En el análisis histopatológico, el 55,2% presentó gastritis crónica, y el 21,5% infección por Helicobacter pylori, incluso en ausencia de lesiones macroscópicas. Se observaron diferencias significativas por sexo en la prevalencia de lesiones y hallazgos histológicos. Conclusiones. El uso sistemático de biopsias mediante el protocolo de Sídney permite identificar alteraciones histológicas relevantes en pacientes obesos, incluso sin lesiones endoscópicas aparentes. Es importante realizar biopsias sistemáticas durante la evaluación preoperatoria para optimizar la detección y tratamiento oportuno de patologías gastrointestinales asociadas.

Prevalencia de Helicobacter pylori y hallazgos endoscópicos e histopatológicos en pacientes obesos Ruby M Martínez Ramírez y col.

Palabras claves. Obesidad, Helicobacter pylori, endoscopía digestiva alta, cirugía bariátrica, Argentina.

Prevalence of Helicobacter

pylori

and Endoscopic and Histopathological Findings in Obese Patients who are Candidates for Bariatric Surgery

Summary

Introduction. The prevalence of Helicobacter pylori in obese patients has been poorly documented, especially in contexts with adequate healthcare access. In these patients, the absence of visible lesions during endoscopy may lead to underestimate relevant histological alterations if systematic biopsies are not performed. There are few local studies characterizing this population, which motivates the need for this research. Objective. To estimate the prevalence of Helicobacter pylori and to describe the endoscopic and histopathological findings, as well as sociodemographic variables, in obese patients who are candidates for bariatric surgery at the Hospital Universitario Austral. Materials and methods. Observational, descriptive, cross-sectional, and retrospective study carried out on a cohort of patients who underwent bariatric surgery between 2022 and 2024. Those with complete esophagogastroduodenoscopy) and gastric biopsies according to the Sydney protocol were included. Endoscopic findings, histopathological diagnosis, and the presence or absence of H. pylori in the patients were analyzed, stratified by sex and degree of obesity. Results. Out of the 418 patients who underwent surgery in our institution, 326 (78%) with esophagogastroduodenoscopy with gastric biopsies were included in the analysis. The rest had esophagogastroduodenoscopy without biopsies, or had not undergone the procedure. Endoscopic lesions were identified in 60.1% of cases, the most frequent being gastric erosions (35.5%) and erosive esophagitis (18.1%). The histopathological analysis revealed chronic gastritis in 55.2% and Helicobacter pylori infection in 21.5%, even in the absence of macroscopic lesions. Significant differences by sex were observed in the prevalence of lesions and histological findings. Conclusion. The systematic use of biopsies according to Sydney’s protocol allows the identification of relevant histological alterations in obese patients, even in the absence of apparent endoscopic lesions. It is important to perform systematic biopsies during preoperative evaluation to optimize the detection and timely treatment of associated gastrointestinal pathologies.

Keywords. Obesity, Helicobacter pylori, upper gastrointestinal endoscopy, bariatric surgery, Argentina.

Introducción

La cirugía bariátrica es una intervención efectiva y segura para el tratamiento a largo plazo de la obesidad severa, especialmente en pacientes con un índice de masa corporal (IMC) ≥ 35 kg/m², o que se encuentren entre 30 y 34,9 kg/m² en presencia de comorbilidades metabólicas asociadas.1 Los procedimientos más utilizados son la gastrectomía en manga y el bypass gástrico en Y de Roux (RYGB), cuya elección requiere una evaluación preoperatoria integral. Dentro de esta evaluación, la esofagogastroduodenoscopía (EGD) cumple un rol esencial, al permitir identificar patologías digestivas preexistentes -como esofagitis, úlceras, hernia hiatal o lesiones premalignas-, así como detectar la presencia de Helicobacter pylori. La histología, mediante biopsias obtenidas bajo el protocolo de Sídney, es uno de los métodos recomendados para confirmar la infección.2, 3 Esta evaluación resulta crítica, en particular en los candidatos a RYGB, dado que tras la cirugía queda limitado el acceso endoscópico al estómago remanente.2

Estudios previos han demostrado que los hallazgos endoscópicos son más frecuentes y severos en los pacientes obesos, en comparación con individuos de peso normal. Las lesiones más comunes incluyen gastritis crónica no atrófica, predominantemente antral (hasta 32,5%), esofagitis (7,5 - 24,8%), reflujo gastroesofágico (> 50%), hernia hiatal (hasta 43,1%) y presencia de H. pylori (3,7 - 22,4%).4-7

En Argentina, los datos sobre la prevalencia de H. pylori en pacientes obesos siguen siendo limitados. Olmos y col. reportaron una prevalencia del 35,7% en una muestra nacional de la población general,6 mientras que García y col. hallaron un 40% en pacientes obesos evaluados para cirugía bariátrica en un hospital privado de Mar del Plata.3 De forma concordante, Otero y col. observaron una alta frecuencia de gastritis crónica y esofagitis en obesos severos candidatos a cirugía.7

El Consenso Argentino de Nutrición en Cirugía Bariátrica recomienda la realización de EGD con biopsias preoperatorias, dado que las modificaciones anatómicas posquirúrgicas impiden la evaluación endoscópica del estómago excluido. Asimismo, la erradicación oportuna de H. pylori permite reducir las complicaciones postoperatorias.8

En el Hospital Universitario Austral -centro de alta complejidad privado- se evalúan anualmente más de

Prevalencia de Helicobacter pylori y hallazgos endoscópicos e histopatológicos en pacientes obesos Ruby M Martínez Ramírez y col.

100 pacientes como candidatos a cirugía bariátrica. Esta población, caracterizada por un nivel socioeconómico medio-alto, podría presentar una prevalencia particular de patologías digestivas e infecciones como Helicobacter pylori, asociada a un mayor acceso a controles médicos, mejores condiciones sanitarias y el uso más frecuente de tratamientos antibióticos o profilácticos.

Hasta el momento, no se disponía de estudios que caracterizaran de manera sistemática los hallazgos endoscópicos e histopatológicos en esta cohorte.9, 10 Por ello, el presente trabajo busca aportar datos locales actualizados sobre la prevalencia de H. pylori y alteraciones digestivas en una población argentina con obesidad severa.

El objetivo principal del estudio fue describir los hallazgos endoscópicos e histopatológicos en pacientes obesos candidatos a cirugía bariátrica evaluados en el Hospital Universitario Austral, con especial énfasis en la prevalencia de lesiones digestivas y en la detección de H. pylori mediante biopsias obtenidas bajo el protocolo de Sídney.

Materiales y métodos

Diseño del estudio

Estudio observacional, descriptivo, transversal y retrospectivo. Su objetivo fue caracterizar los hallazgos endoscópicos e histopatológicos en pacientes obesos sometidos a una cirugía bariátrica. El estudio se desarrolló en el Hospital Universitario Austral (HUA), centro de alta complejidad de carácter privado, durante el período comprendido entre el 1 de enero de 2022 y el 31 de diciembre de 2024.

Población y criterios de inclusión

Pacientes mayores de 18 años con obesidad grado I, II o III (IMC ≥ 30 kg/m²), evaluados como candidatos a cirugía bariátrica, que contaban con informes completos de una EGD y biopsias histopatológicas realizadas en el HUA durante el período del estudio.

Los criterios de exclusión fueron: historias clínicas con información incompleta, ausencia de reporte endoscópico o histológico, o pacientes a quienes finalmente no se les realizó cirugía bariátrica.

Recolección de datos

La información fue obtenida a partir de las historias clínicas electrónicas institucionales. Se extrajeron variables sociodemográficas, antropométricas, hallazgos endoscópicos e histopatológicos. Las biopsias gástricas fue-

ron evaluadas por patólogos del hospital. Se usaron las técnicas de hematoxilina-eosina y Giemsa para la detección de la presencia o no del Helicobacter pylori y para la caracterización del tipo de gastritis.

Variables de estudio

Las variables analizadas incluyeron la edad (en años, como variable continua), el sexo (masculino o femenino), el índice de masa corporal (IMC) categorizado según los criterios de la OMS, los hallazgos endoscópicos -incluida la presencia de esofagitis, erosiones gástricas, pólipos, hernia hiatal, úlceras, várices, duodenopatía y esófago de Barrett, entre otros-, los hallazgos histopatológicos -como gastritis crónica activa o inactiva, metaplasia gástrica, enfermedad celíaca, neoplasias e infección por H. pylori- y la infección por H. pylori confirmada histológicamente (presencia o ausencia).

Consideraciones éticas

Este estudio fue aprobado por el Comité de Ética del Hospital Universitario Austral (número de acta disponible a solicitud). Se respetaron los principios de la Declaración de Helsinki y las normativas nacionales de protección de datos (Ley 25.326). La información recolectada fue anonimizada y procesada exclusivamente con fines científicos.

Análisis estadístico

El análisis descriptivo de las variables cualitativas se realizó mediante el cálculo de frecuencias absolutas y relativas. Para las variables cuantitativas, se emplearon la mediana (Me) y el rango intercuartílico (RIC) como medidas de tendencia central y de dispersión, respectivamente. Dado su comportamiento no paramétrico, se usó la prueba de Shapiro-Wilk. Para la comparación de variables cualitativas entre grupos (sexo y grados de obesidad), se aplicaron la prueba de Chi-cuadrado o la prueba exacta de Fisher, según correspondiera. En el caso de las variables cuantitativas, se utilizó la prueba U de Mann-Whitney. Se consideró estadísticamente significativo un valor de p < 0.05. El análisis fue realizado utilizando el software Epi Info®, versión 7.2.6.0 (Centers for Disease Control and Prevention, USA).

Resultados

Durante el período del estudio se identificaron 418 pacientes sometidos a cirugía bariátrica. De ellos, 326 (78%) contaban con una EGD completa con biopsias realizadas en nuestra institución y fueron incluidos en el

Prevalencia de Helicobacter pylori y hallazgos endoscópicos e histopatológicos en pacientes obesos Ruby M Martínez Ramírez y col.

análisis. Los 92 pacientes restantes fueron excluidos por no contar con endoscopía digestiva alta (EGD), o por haberse realizado sin toma de biopsias, o en otra institución sin acceso a los informes histopatológicos.

La distribución por grado de obesidad fue la siguiente: 218 pacientes presentaban obesidad grado III (66,9%), 87 obesidad grado II (26,7%) y 21 obesidad grado I (6,4%). La mediana de edad global fue de 44 años (RIC: 33 - 52), y el 66% (n = 215) correspondía al sexo femenino. Con respecto a los hallazgos endoscópicos, se detectaron lesiones en el tracto digestivo superior en el 60,1% de los pacientes. Las lesiones más frecuentes fueron las erosiones gástricas (35,5%) y la esofagitis erosiva (18,1%), con predominio de los grados B (9,2%) y A (7,1%) según la clasificación de Los Ángeles. Así mismo, se observaron pólipos gástricos en el 9,5% de los casos, en su mayoría de tipo fúndico (6,7%) y en menor proporción hiperplásicos (2,8%), y hernia hiatal en el 7,1%. Otros hallazgos menos prevalentes (< 5%) incluyeron duodenopatía erosiva, lesiones gástricas inespecíficas, lengüeta esofágica, úlcera gástrica, várices esofágicas y duodenopatía crónica.

Al analizar las diferencias por sexo, se observó una mediana de edad significativamente mayor en hom-

bres (46 años) en comparación con mujeres (42 años) (p = 0,0017). Las lesiones endoscópicas fueron más frecuentes en varones (68,5%) que en mujeres (55,8%) (p = 0,0270). Las erosiones gástricas (44,1% vs. 30,7%) y la duodenopatía erosiva (6,3% vs. 1,4%) también fueron significativamente más prevalentes en hombres (p < 0,05). En contraste, los pólipos gástricos fúndicos fueron más comunes en mujeres (12,1% vs. 4,5%) (p = 0,0268). Además, se observaron diferencias significativas adicionales: el esófago de Barrett se encontró exclusivamente en los pacientes de sexo masculino (2,7% vs. 0%; p = 0,0387) (Tabla 1).

En cuanto a los hallazgos histopatológicos, los diagnósticos más frecuentes fueron gastritis crónica no atrófica antral (n = 180; 55,2%) e infección por Helicobacter pylori (n = 70; 21,5%). Entre los pacientes con gastritis crónica, el 21,2% presentaron infección por H. pylori , mientras que el 78,8% no la tenían. Otros hallazgos incluyeron metaplasia gástrica (3,1%), esófago de Barrett (n = 3; 0,9%) y enfermedad celíaca (0,3%), correspondientes a tres y un paciente, respectivamente. Todos los casos de esófago de Barrett se observaron en varones (2,7%) sin registros en mujeres ( p = 0,0387) (Tabla 1).

Tabla 1. Características sociodemográficas, hallazgos endoscópicos e histopatológicos según sexo (n = 326)

Prevalencia de Helicobacter pylori y hallazgos endoscópicos e histopatológicos en pacientes obesos Ruby M Martínez Ramírez y col.

Tabla 1. Continuación

Adicionalmente, la frecuencia de infección por H. pylori en el contexto de gastritis crónica fue mayor en varones (45,8%) que en mujeres (34,7%). También se observó una tendencia descendente en la prevalencia de H. pylori según el grado de obesidad: 33,3% en obesidad grado I, 28,7% en grado II y 17,0% en grado III (Figura 1).

Respecto a los hallazgos endoscópicos por grado de obesidad, la única diferencia significativa fue la mayor frecuencia de pólipos gástricos hiperplásicos en el grupo con obesidad grado II (6,9%) frente al grupo con obesidad grado III (1,4%) ( p = 0,0181).

Discusión

La obesidad es una enfermedad crónica, multifactorial y progresiva, considerada una epidemia global por la Organización Mundial de la Salud. A nivel mundial, se estima que 2600 millones de personas viven con obesidad, y se proyecta que esta cifra alcanzará los 4000 millones para el año 2035.9 En Argentina, la prevalencia de obesidad en adultos alcanzó el 32,4% en 2018, situando al país entre los de mayor incidencia en América Latina.10 Este contexto resalta la importancia de evaluar las manifestaciones digestivas en esta población.

Este estudio demuestra una alta prevalencia de hallazgos endoscópicos e histopatológicos en pacientes obesos candidatos a cirugía bariátrica, con predominio de la gastritis crónica no atrófica. La aplicación del protocolo de Sídney permitió detectar alteraciones relevantes incluso en ausencia de lesiones visibles, reforzando el valor diagnóstico del estudio histológico en esta población. La identificación de Helicobacter pylori, aunque

Figura 1. Distribución de H. pylori por grado de obesidad

Prevalencia de Helicobacter pylori y hallazgos endoscópicos e histopatológicos en pacientes obesos Ruby M Martínez Ramírez y col. controvertida, y algunos estudios plantean incluso una asociación inversa.14

Figura 2. Distribución de H. pylori en pacientes con gastritis crónica

De forma concordante, un estudio prospectivo en Colombia de Otero y col. encontró que el 100% de los pacientes obesos severos evaluados presentaban alguna alteración endoscópica. Las más frecuentes fueron la gastritis crónica (100%), la esofagitis erosiva (60,2%) y la hernia hiatal (55,4%). La prevalencia de H. pylori fue del 57,8%, similar a la población general.7 En nuestra cohorte, la prevalencia de H. pylori (21,5%) fue inferior a la descrita por Otero y col., y similar a lo reportado por García Allende y col.3

La prevalencia global de H. pylori ha disminuido en las últimas décadas, especialmente en regiones con mejores condiciones sanitarias. Aun así, su detección y erradicación en el contexto preoperatorio es relevante, ya que se ha asociado con una reducción significativa de úlceras marginales postoperatorias.8, 18 No obstante, la relación entre esta infección y la obesidad sigue siendo menos frecuente, mantiene su relevancia clínica por la posible implicación en complicaciones como las úlceras marginales o la gastritis postquirúrgica, y subraya la importancia de su detección y tratamiento oportuno antes de la cirugía. En los pacientes con gastritis crónica, la infección por H. pylori se observó en el 21,2%, mientras que el 78,8% no presentaba la bacteria (Figura 2). Esta baja prevalencia contrasta con lo reportado en la mayoría de las series de pacientes con obesidad, donde las tasas de infección suelen ser más elevadas, lo que podría reflejar diferencias regionales, características propias de la población o una mayor exposición previa a tratamientos erradicadores.

En Argentina, Laudanno y col. reportaron una menor tasa de erradicación de H. pylori en pacientes obesos frente a controles eutróficos (69% vs. 88%), lo que sugiere que la obesidad podría influir negativamente en la eficacia del tratamiento, posiblemente por alteraciones farmacocinéticas. Como respuesta, se propuso una terapia cuádruple ajustada por peso, cuyos resultados preliminares -presentados recientemente en congresos internacionales- mostraron tasas de erradicación superiores al 90%.12 Además, resultados preliminares del registro multicéntrico Hp-LATAMReg, presentados en GastroLat 2024, evidenciaron que las terapias cuádruples sin claritromicina alcanzaron tasas de erradicación superiores al 90%, siendo más efectivas que la triple terapia estándar (IBP-amoxicilina-claritromicina), sin aumentar los efectos adversos ni comprometer la adherencia.13 En cuanto a los hallazgos endoscópicos, estudios previos han reportado prevalencias variables en esta población. Las diferencias observadas entre sexos en nuestra cohorte podrían explicarse por factores conductuales y farmacológicos. Diversos estudios han demostrado que las mujeres presentan una mayor utilización de los servicios de salud, incluyendo atención por síntomas gastrointestinales, en comparación con los hombres (Parsi y col.15). Esta mayor frecuencia de consulta podría favorecer el diagnóstico precoz y el uso preventivo de tratamientos como los inhibidores de bomba de protones (IBP), los cuales han sido asociados con el desarrollo de pólipos gástricos fúndicos (Charleston y col.16). Incluso se ha documentado la regresión de estos pólipos tras la suspensión del tratamiento (Inaba y col.17). Por otro lado, la mayor frecuencia de lesiones erosivas en el sexo masculino podría deberse a una menor adherencia al seguimiento médico y a menor utilización de terapias protectoras de la mucosa gástrica.

La elevada tasa de gastritis crónica no atrófica hallada en los informes histopatológicos, incluso en pacientes sin lesiones visibles en la endoscopía, sugiere una posible subvaloración clínica de esta entidad. La aplicación sistemática del protocolo de Sídney permitió identificar alteraciones relevantes incluso en ausencia de hallazgos macroscópicos, reforzando la importancia del abordaje histológico durante la evaluación preoperatoria.

Este estudio, desarrollado en una institución privada, aporta evidencia en una población con acceso facilitado al sistema de salud y mayor nivel socioeconómico, lo cual puede explicar ciertas diferencias respecto a otras cohortes sudamericanas. A nivel nacional, existe

Sin H. pylori
Con H. pylori

Prevalencia de Helicobacter pylori y hallazgos endoscópicos e histopatológicos en pacientes obesos Ruby M Martínez Ramírez y col.

escasa evidencia que documente de forma detallada los hallazgos endoscópicos e histopatológicos en los pacientes obesos candidatos a cirugía bariátrica. Los resultados obtenidos contribuyen a complementar el conocimiento de la epidemiología digestiva local en esta población.

El análisis permitió identificar subgrupos con mayor prevalencia de hallazgos, como los varones y los pacientes con obesidad grado II. Conocer estas variables demográficas podría permitir el diseño de estrategias individualizadas según sexo y grado de obesidad, optimizando la evaluación preoperatoria.

Entre las fortalezas de este estudio se destaca que la cohorte fue seleccionada a partir de una base amplia de pacientes sometidos a cirugía bariátrica, con EGD completa y biopsias sistemáticas, garantizando uniformidad en la evaluación endoscópica e histológica. La muestra final, compuesta por más de 300 pacientes, permitió un análisis robusto.

No obstante, el diseño retrospectivo del estudio y el contexto institucional privado limitan la extrapolación de los resultados a otras poblaciones. Serán necesarios estudios prospectivos y multicéntricos para confirmar estos hallazgos y evaluar su impacto clínico en el seguimiento posoperatorio.

Conclusiones

Este estudio evidenció una alta prevalencia de gastritis crónica no atrófica y de infección por Helicobacter pylori en pacientes obesos candidatos a cirugía bariátrica.

La aplicación sistemática del protocolo de Sídney permitió detectar alteraciones histológicas relevantes incluso en ausencia de hallazgos endoscópicos aparentes, lo que refuerza la necesidad de incluir biopsias gástricas preoperatorias como parte rutinaria del abordaje diagnóstico.

Además de su valor clínico, estos resultados aportan información epidemiológica local significativa y contribuyen a fortalecer la base de datos nacional sobre la patología digestiva en esta población.

Finalmente, los hallazgos respaldan la implementación de protocolos estandarizados de evaluación preoperatoria que optimicen la detección, el tratamiento oportuno y el seguimiento posquirúrgico de los pacientes con obesidad.

Consentimiento para la publicación. Para la confección de este manuscrito, se utilizaron datos anonimizados que no han distorsionado su significado científico.

Propiedad intelectual. Los autores declaran que los datos,

las figuras y las tablas presentes en el manuscrito son originales y se realizaron en sus instituciones pertenecientes.

Financiamiento. Los autores declaran que no hubo fuentes de financiación externas.

Conflictos de interés. Los autores declaran no tener conflictos de interés con relación a este artículo.

Agradecimientos. Se agradece al Servicio de Endoscopía y al Departamento de Anatomía Patológica del Hospital Universitario Austral por su colaboración en la obtención de datos.

Aviso de derechos de autor © 2025 Acta Gastroenterológica Latinoamericana. Este es un artículo de acceso abierto publicado bajo los términos de la Licencia Creative Commons Attribution (CC BY-NC-SA 4.0), la cual permite el uso, la distribución y la reproducción de forma no comercial, siempre que se cite al autor y la fuente original.

Cite este artículo como: Martínez Ramírez R M, Nadales A, Martínez Ramírez M X y col. Prevalencia de Helicobacter pylori y hallazgos endoscópicos e histopatológicos en pacientes obesos candidatos a cirugía bariátrica. Acta Gastroenterol Latinoam. 2025;55(4):371-378. https:// doi.org/10.52787/agl.v55i4.564

Referencias

1. Elmaleh-Sachs A, Schwartz JL, Bramante CT, Nicklas JM, Gudzune KA, Jay M. Obesity management in adults: a review. JAMA. 2023;330(20):2000-15. DOI:10.1001/jama.2023.19897

2. Abdallah H, El Skalli M, Mcheimeche H, Casagranda B, De Manzini N, Palmisano S. Indications for upper gastrointestinal endoscopy before bariatric surgery: a multicenter study. Surg Endosc. 2023;37(2):1342-8. DOI:10.1007/s00464-022-09656-2

3. García Allende L, Laborda Molteni J, Fuentes N, Tonn EF. Prevalencia de Helicobacter pylori en pacientes obesos sometidos a cirugía bariátrica en un hospital general de Argentina. Acta Gastroenterol Latinoam. 2024;54(2):153-9.

Prevalencia de Helicobacter pylori y hallazgos endoscópicos e histopatológicos en pacientes obesos Ruby M Martínez Ramírez y col.

4. Kim K, Chang Y, Ahn J, et al. Body mass index and risk of intestinal metaplasia: a cohort study. Cancer Epidemiol Biomarkers Prev. 2019;28(4):789-97. DOI:10.1158/1055-9965. EPI-18-0733

5. Cai N, Ji GZ, Fan ZN, et al. Association between body mass index and erosive esophagitis: a meta-analysis. World J Gastroenterol. 2012;18(20):2545-55. DOI:10.3748/wjg.v18.i20.2545

6. Olmos JA, Ríos H, Higa R; The Argentinean HP Epidemiologic Study Group. Prevalence of Helicobacter pylori infection in Argentina: results of a nationwide epidemiologic study. J Clin Gastroenterol. 2000;31(1):33-7.

7. Otero Regino W, Otero L, Trespalacios AA. Helicobacter pylori y alteraciones endoscópicas en pacientes con obesidad severa programados para cirugía bariátrica. Rev Colomb Gastroenterol. 2016;30(2):165-70. DOI:10.22516/25007440.36

8. Pampillón N, Reynoso C, Solimano M, Sánchez M, Aguirre Ackermann M, De Rosa P, et al. Actualización del Consenso Argentino de Nutrición en Cirugía Bariátrica. Actualiz Nutr. 2016;17(1):19-32.

9. Lobstein T, Jackson R. World Obesity Atlas 2023. World Obesity Federation; 2023. Disponible en: https://www.worldobe sityday.org/assets/downloads/World_Obesity_Atlas_2023_Report.pdf [Acceso: 1 nov 2025].

10. Ministerio de Salud de la Nación Argentina. 4ta Encuesta Nacional de Factores de Riesgo – Informe definitivo. Buenos Aires; 2019. Disponible en: https://bancos.salud.gob.ar/sites/default/ files/2020-01/4ta-encuesta-nacional-factores-riesgo_2019_informe -definitivo.pdf [Acceso: 1 nov 2025].

11. Li Y, Choi H, Leung K, et al. Global prevalence of Helicobacter pylori infection between 1980 and 2022: a systematic review and meta-analysis. Lancet Gastroenterol Hepatol. 2023;8(6):553-64. DOI:10.1016/S2468-1253(23)00070-5

12. Laudanno O, Fuentes N, Tonn EF, et al. Optimizing H. pylori eradication in obese patients: the impact of weight-adjusted quadruple therapy. Presented at: Digestive Disease Week (DDW) 2024; Congreso Argentino de Gastroenterología y Hepatología; 2024.

13. Hp-LATAMReg Study Group. Resultados del registro multicéntrico latinoamericano Hp-LATAMReg: eficacia de las terapias cuádruples sin claritromicina. Congreso GastroLat 2024; Buenos Aires, Argentina. Abstract CONGASTRO2024-047. Disponible en: https://gastrolat.org/congreso2024/congastro2024-047/ [Acceso: 1 nov 2025].

14. Kamarehei F, Mohammadi Y. The effect of Helicobacter pylori infection on overweight: a systematic review and meta-analysis. Iran J Public Health. 2022;51(11):2417–24. DOI:10.18502/ ijph.v51i11.11159

15. Parsi M, Zhou QQ, Baidoo L, Jiang Y, et al. Race and gender-based differences in healthcare utilization for common gastrointestinal symptoms among veterans. Am J Gastroenterol. 2024. Disponible en: https://journals.lww.com/ajg/fulltext/2024/10001/ S2265_race_and_gender_based_differences_in.2266.aspx

16. Charleston MC, Paredes DGO, Mendez GA, Tello JMC. Development of gastric polyps: 15 years of proton pump inhibitor therapy. Cureus. 2024. Disponible en: https://www.cureus.com/ articles/249238-development-of-gastric-polyps-15-years-of-proton-pump-inhibitor-therapy.pdf

17. Inaba T, Yamauchi K, Ishikawa S, Colvin HS. Proton pump inhibitor–induced large gastric polyps can regress within 2 months after discontinuation: experience from two cases. Den Open. 2025;2(1):e70090. DOI:10.1002/deo2.70090

18. Schirmer B, Erennoglu C, Miller A. Flexible endoscopy in the management of patients undergoing Roux-en-Y gastric bypass. Obes Surg. 2002;12(5):634-8.

19. Santos-Grapain S, Galvis-García ES, Herrera-Servín MA, et al. Hallazgos endoscópicos prequirúrgicos en cirugía bariátrica. Rev Colomb Cir. 2020;32(Suppl 2):357-8.

20. Lim R, Beekley A, Johnson DC, Davis KA. Early and late complications of bariatric operation. Trauma Surg Acute Care Open. 2018;3(1):1-7.

21. Ministerio de Salud y Desarrollo Social de la Nación. Guía de práctica clínica nacional de obesidad en adultos. Buenos Aires; 2022. Disponible en: https://bancos.salud.gob.ar/recurso/guia-de-practica-clinica-obesidad-en-adultos [Acceso: 1 nov 2025].

2025;55(4):371-378

Prevalencia de carcinoma epidermoide de esófago en pacientes con cáncer de cabeza

y cuello: estudio unicéntrico

Ana Victoria Martins Lima1 · Fernanda Carvalho Franco2 · Cesar Saul Quevedo Penaloza2

Diego Cadena Aguirre2 · Rafael Sartori Balbinot2 · Regina Rie Imada3 · Fabio Marioni4

Renata Nobre Moura5 · Gustavo Andrade de Paulo5 · Adriana Vaz Safatle-Ribeiro5

Louise Menezes da Cunha6 · Fábio Gonçalves Ferreira7

1 Maestría en Investigación Quirúrgica. Fundação Arnaldo Vieira de Carvalho, São Paulo, Brasil.

2 Fellow en Endoscopia Oncológica. Instituto do Câncer do Estado de São Paulo, Universidade de São Paulo, São Paulo, Brasil.

3 Servicio de Endoscopia. Irmandade Santa Casa de Misericórdia de São Paulo, São Paulo, Brasil.

4 Jefe del Servicio de Endoscopia. Irmandade Santa Casa de Misericórdia de São Paulo, São Paulo, Brasil.

5 Servicio de Endoscopia. Instituto do Câncer do Estado de São Paulo, Universidade de São Paulo, São Paulo, Brasil.

6 Servicio de Endoscopia. Complexo Hospitalar do Mandaqui, São Paulo, Brasil.

7 Servicio de Cirugía Hepatopancreatobiliar. Faculdade de Ciências Médicas da Santa Casa de São Paulo, São Paulo, Brasil.

Acta Gastroenterol Latinoam 2025;55(4):379-385

Recibido: 26/08/2025 / Aceptado: 26/11/2025 / Publicado online el 23/12/2025 / https://doi.org/10.52787/agl.v55i4.534

Resumen

Introducción. Los pacientes con cáncer de cabeza y cuello presentan un riesgo elevado de desarrollar tumores primarios-secundarios en el esófago, lo que repercute negativamente en el pronóstico. La detección temprana de estas lesiones puede mejorar de manera significativa la supervivencia. Objetivo. Determinar la prevalencia de

Correspondencia: Ana Victoria Martins Lima Correo electrónico: anavictoria_ml@yahoo.com.br

carcinoma epidermoide de esófago en pacientes con cáncer de cabeza y cuello, y describir sus características epidemiológicas. Materiales y métodos. Se realizó un estudio retrospectivo sobre la base de una cohorte de pacientes con diagnóstico actual o previo de cáncer de cabeza y cuello sometidos a esofagogastroduodenoscopia para pesquisa de tumores primarios-secundarios durante 2022, en un centro de referencia de São Paulo, Brasil. Resultados. De los 177 pacientes evaluados, 165 cumplieron los criterios de inclusión. Se detectó carcinoma epidermoide de esófago en el 4,84% (IC 95%: 2,1 - 9,2) de los pacientes evaluados (8 de 165 casos), y en la mitad de ellos se diagnosticó en estadios avanzados. Predominaron los hombres (79%), con edad media de 65 años, fumadores y con tumor primario en la orofaringe. Las lesiones esofágicas de 7 milímetros o más se asociaron significativamente con neoplasia. Conclusión. La prevalencia de tumores esofágicos primariossecundarios en pacientes con cáncer de cabeza y cuello es relevante. Los varones de mayor edad, fumadores y con antecedente de tumor orofaríngeo representan el grupo de mayor riesgo. En este perfil, las lesiones endoscópicas de 7 milímetros o más deben considerarse un marcador de

Prevalencia de carcinoma epidermoide de esófago en pacientes con cáncer de cabeza y cuello Ana Victoria Martins Lima y col.

alto riesgo de neoplasia, lo que justifica la implementación de programas de pesquisa dirigidos a poblaciones vulnerables.

Palabras claves. Endoscopia, carcinoma epidermoide de esófago, cáncer de cabeza y cuello, neoplasias secundarias, programas de tamizaje.

Prevalence of Esophageal Squamous Cell Carcinoma among Patients with Head and Neck Cancer: A Single-Center Study

Summary

Introduction. Patients with head and neck cancer have an increased risk of developing second primary tumors in the esophagus, which negatively impacts prognosis. Early detection can significantly improve survival. Objective. To evaluate the prevalence of esophageal squamous cell carcinoma in patients with head and neck cancer, in addition to describing the epidemiological profile of these patients. Materials and methods. We retrospectively analyzed a database of patients with a current or previous diagnosis of head and neck cancer who underwent esophagogastroduodenoscopy for screening of second primary tumors during 2022 at a renowned referral center in São Paulo. Results. A total of 177 patients with head and neck cancer were evaluated, but only 165 met the inclusion criteria. Esophageal squamous cell carcinoma was detected in 4.84% (95% CI: 2.1 - 9.2) of the evaluated patients (8 out of 165 cases), and half of the cases were diagnosed at advanced stages. Most patients were men (79%), with a mean age of 65 years. Most were smokers, with a primary tumor located in the oropharynx. Esophageal lesions measuring 7 mm or more were significantly associated with neoplasia. Conclusion. The prevalence of second primary esophageal tumors in patients with head and neck cancer is relevant. Older men smokers with history of oropharyngeal tumor, represent the highest-risk group. In this population, endoscopic lesions measuring 7 millimeters or more should be considered a high-risk marker for neoplasia, which supports the implementation of targeted screening programs for vulnerable populations.

Keywords. Endoscopy, esophageal squamous cell carcinoma, head and neck cancer, second primary cancers, screening programs.

Abreviaturas

CCC: Cáncer de cabeza y cuello.

CEE: Carcinoma epidermoide esofágico.

EGD: Esofagogastroduodenoscopia .

TEPS: Tumores esofágicos primarios-secundarios.

CECC: Carcinoma epidermoide de cabeza y cuello.

ROC: Curva de características operativas del receptor (Receiver Operating Characteristic curve).

STP: Segundo tumor primario.

VIST: Versatile Intelligent Staining Technology.

Introducción

Los cánceres del tracto gastrointestinal representan más de una cuarta parte de todos los sitios neoplásicos, con una prevalencia en continuo aumento.1 Entre ellos, el cáncer de esófago se destaca por su naturaleza agresiva y por una tasa de supervivencia a cinco años generalmente inferior al 25%.2, 3 Los pacientes con antecedentes actuales o previos de CCC presentan un riesgo significativamente mayor de desarrollar un STP, particularmente en el tracto aerodigestivo, y esta asociación se vincula a un pronóstico desfavorable y a un mayor riesgo de mortalidad.4-6 Sin embargo, la detección temprana de los STP puede mejorar de manera significativa los resultados de supervivencia.7

Dada la importancia de la detección precoz en la mejora de la supervivencia de los pacientes con TEPS, resulta necesario implementar métodos de pesquisa eficaces que permitan identificar lesiones esofágicas en estadios iniciales y favorezcan la aplicación de tratamientos menos agresivos, con menor morbilidad y que ayuden a reducir los costos sanitarios. En este contexto, la EGD combinada con técnicas de cromoscopia, constituye la herramienta principal para el diagnóstico, la estadificación, el tratamiento y el seguimiento de los pacientes con neoplasias esofágicas.8, 9 La cromoscopia incluye tecnologías que proporcionan imágenes de mayor resolución que incrementan las tasas de detección de lesiones, ya sea mediante el uso de colorantes o de métodos de procesamiento digital de imágenes.10, 11 La pesquisa de tumores esofágicos secundarios en pacientes con CCC es una práctica ampliamente establecida en centros médicos de referencia.4, 6, 9, 12 Sin embargo, en países en desarrollo como Brasil, los datos sobre cáncer de esófago son limitados y presentan variabilidad geográfica, lo que refleja bajas tasas de detección en etapas tempranas de la enfermedad.13 En este contexto,

Prevalencia de carcinoma epidermoide de esófago en pacientes con cáncer de cabeza y cuello Ana Victoria Martins Lima y col.

resulta fundamental realizar estudios poblacionales adicionales que describan los resultados de los programas de pesquisa en este grupo de pacientes y que contribuyan a demostrar el impacto de la detección temprana y del tratamiento oportuno.

Objetivo

Determinar la prevalencia de cáncer de esófago en pacientes con cáncer de cabeza y cuello, y los factores asociados.

Materiales y métodos

Se realizó un estudio retrospectivo, de corte transversal basado en el análisis de una base de datos hospitalaria y en la evaluación de las historias clínicas electrónicas de todos los pacientes con diagnóstico actual o previo de cáncer de cabeza y cuello que fueron remitidos al Servicio de Endoscopia Digestiva y Respiratoria de la Irmandade Santa Casa de Misericórdia de São Paulo entre enero y diciembre de 2022 para pesquisa de tumores esofágicos primarios-secundarios. El formulario de con-

sentimiento informado fue dispensado, conforme a la aprobación del Comité de Ética Institucional.

Se excluyeron a los pacientes con subtipos de cáncer de cabeza y cuello distintos del carcinoma de células escamosas, tumores localizados fuera del tracto aerodigestivo superior, diagnóstico previo de carcinoma epidermoide de esofágico avanzado o antecedente de esofagectomía, tumores de cabeza y cuello con compromiso directo del esófago y aquellos con información incompleta o inadecuadamente documentada en la historia clínica electrónica.

El protocolo institucional de pesquisa de tumores primarios-secundarios incluye la realización de esofagogastroduodenoscopia combinada con cromoscopia virtual mediante VIST (Figura 1) seguida de cromoscopia con Lugol (Figura 2), y se lleva a cabo anualmente a partir del momento del diagnóstico del tumor primario. Las lesiones se clasificaron de acuerdo con el sistema de clasificación de París, que categoriza las lesiones en estadios iniciales según sus características morfológicas para valorar el grado de invasión.14

Figura 2.
Figura 1.

Prevalencia de carcinoma epidermoide de esófago en pacientes con cáncer de cabeza y cuello Ana Victoria Martins Lima y col.

El análisis de los datos se realizó de manera descriptiva, con la presentación de frecuencias absolutas y relativas para las variables categóricas, y medidas de resumen como media y desviación estándar para las variables numéricas. Para la comparación entre grupos, se utilizaron la prueba exacta de Fisher para las variables categóricas y la T de Student para las variables continuas. La prueba t asume la normalidad en la distribución de los datos, la cual se verificó mediante la prueba de KolmogorovSmirnov.

La homogeneidad de las varianzas se evaluó mediante la prueba de Levene. Se consideró estadísticamente significativo un valor de p menor a 0,05 para la toma de decisiones respecto al rechazo - o no - de la hipótesis nula. Los análisis estadísticos se llevaron a cabo utilizando IBM SPSS Statistics, versión 20, y MedCalc Online, versión 22.021.

Resultados

Un total de 165 pacientes cumplieron los criterios de inclusión. La mayoría eran varones (79%, n = 130). La edad media de la cohorte fue de 65 años, con un rango de 33 a 90 años. Aproximadamente el 60% de los pacientes (n = 99) tenía entre 60 y 75 años. En aproximadamente el 47% de los casos, la laringe fue el sitio del tumor primario. En cuanto a los factores de estilo de vida, el 82% (n = 135) reportó antecedente de tabaquismo actual o previo, y el 48% (n = 78) refirió consumo de alcohol (Tabla 1).

Durante los exámenes endoscópicos de pesquisa se identificaron 12 lesiones. El análisis histopatológico reveló que un tercio de ellas (4 lesiones) fueron benignas, mientras que dos tercios (8 lesiones) fueron confirmadas histológicamente como malignas.

Ocho pacientes fueron diagnosticados con lesiones malignas, incluyendo cuatro carcinomas esofágicos en estadio temprano y cuatro carcinomas esofágicos avanzados, lo que resultó en una tasa de detección del 4,84% (IC 95%: 2,1 - 9,2). De estas lesiones, tres fueron sincrónicas, identificadas dentro de los primeros seis meses del diagnóstico de la neoplasia de cabeza y cuello, y cinco metacrónicas, es decir, detectadas luego de los seis posteriores al diagnóstico inicial. Entre estos pacientes, se observó un predominio notable de varones (75%), la mayoría con tumor primario de cabeza y cuello localizado en la orofaringe (50%). Una proporción significativa de estos pacientes era alcohólica (62,5%) y todos (100%) eran fumadores.

Las lesiones malignas se distribuyeron de la siguiente manera: 12% en el tercio proximal, 38% en el tercio

medio y 50% en el tercio distal del esófago. El tamaño promedio de estas lesiones malignas fue de 16,9 mm. El examen macroscópico durante la endoscopia mostró un espectro de apariencias: tres lesiones presentaron estenosis o un patrón mucoso infiltrativo. Las restantes fueron clasificadas según el sistema de París: una excavada (París 0-III), dos levemente elevadas (París 0-IIa) y dos levemente deprimidas (París 0-IIc).

Las lesiones con apariencia macroscópica sugestiva de neoplasia superficial -específicamente las levemente elevadas y las planas levemente deprimidas- se asociaron con hallazgos patológicos consistentes con carcinoma in situ. Variable

Tabla 1. Aspectos epidemiológicos de 165 pacientes sometidos a rastreo de segundo tumor primario en sujetos con antecedente actual o previo de cáncer de cabeza y cuello. São Paulo, 2024

Edad (años)

Media ± DE (rango)

± 9,3 (33 - 90)

Tabaquismo, n /

Nota. Los valores se expresan como número absoluto y porcentaje, salvo indicación en contrario. DE: desviación estándar.

Prevalencia de carcinoma epidermoide de esófago en pacientes con cáncer de cabeza y cuello Ana Victoria Martins Lima y col.

El tratamiento propuesto para las lesiones se determinó en función de factores como la apariencia endoscópica, el estado clínico de los pacientes y el tratamiento previamente realizado para el tumor primario de cabeza y cuello. Entre las lesiones malignas identificadas, el 25% (n = 2) fue tratado endoscópicamente mediante resección endoscópica de la submucosa, el 12,5% (n = 1) recibió tratamiento quirúrgico (esofagectomía), el 37,5% (n = 3) fue tratado con otras modalidades (quimioterapia o radioterapia), el 12,5% (n = 1) falleció antes de recibir tratamiento y el 12,5% (n = 1) rechazó la propuesta terapéutica y posteriormente se perdió el seguimiento.

Discusión

En esta cohorte de pacientes con cáncer de cabeza y cuello sometidos a endoscopía de pesquisa, observamos una tasa de detección de neoplasias esofágicas cercana al 5%, con un claro predominio de varones mayores, fumadores y con tumores primarios en la orofaringe, lo que confirma que este subgrupo constituye una población de alto riesgo para carcinogénesis sincrónica y metacrónica. Las lesiones malignas mostraron una distribución anatómica amplia y un espectro macroscópico variable, pero las apariencias superficiales (París 0-IIa y 0-IIc) se asociaron de forma consistente con carcinoma in situ, lo que destaca la importancia de su reconocimiento temprano. Asimismo, la diversidad de tratamientos aplicados reflejó la heterogeneidad clínica y endoscópica de las lesiones detectadas.

Debido a la baja prevalencia de la neoplasia esofágica, la pesquisa para carcinoma epidermoide de esófago no se recomienda en la población general. A pesar de ello, múltiples estudios han demostrado que el cribado en poblaciones de alto riesgo constituye una estrategia con potencial para incrementar las tasas de supervivencia y con resultados costo-efectivos para el sistema de salud.15, 16

La EGD es una herramienta fundamental para el diagnóstico precoz, y su precisión diagnóstica se incrementa cuando se combina con técnicas de cromoscopia. Estos métodos, que incluyen el uso de agentes químicos como el Lugol o la imagen digital, resaltan la superficie de la mucosa gastrointestinal y permiten una mejor evaluación durante la EGD.8-10

La cromoscopia convencional se basa en la utilización de un colorante yodado que penetra en el medio intracelular e interactúa con el glucógeno de las células epiteliales queratinizadas, lo que produce una coloración marrón. Las áreas con displasia o cáncer, que presentan menores niveles de glucógeno, muestran tinción

mínima o permanecen sin teñir, creando un contraste con el epitelio normal. Esta diferencia de color facilita la identificación de lesiones que podrían pasar desapercibidas con la endoscopia de luz blanca y mejora potencialmente la detección precoz. Pese a su accesibilidad y bajo costo, la cromoscopia yodada tiene limitaciones, como la posibilidad de producir molestias retroesternales, broncoespasmo y un aumento en la duración del procedimiento.17-19

En contraste, los avances tecnológicos han mejorado significativamente la imagen endoscópica mediante filtros ópticos y procesamiento digital de imágenes. Estas innovaciones permiten un realce detallado de la superficie mucosa y de los patrones microvasculares, lo que ofrece una alternativa viable a la cromoscopia con colorantes. Un ejemplo es el sistema VIST, desarrollado por SonoScape, que combina filtrado óptico con procesamiento digital de la imagen para generar imágenes de alto contraste. Esto facilita la visualización clara de la morfología mucosa y de los patrones vasculares.20-23

Entre los pacientes incluidos en el cribado que desarrollaron un tumor esofágico primario secundario, aproximadamente el 80% eran varones y el 75% tenía 60 años o más. Aunque este estudio no encontró una asociación estadísticamente significativa entre sexo, edad y mayor riesgo de desarrollar TEPS, como se ha informado en otras investigaciones,24-26 nuestros hallazgos sugieren una asociación positiva de este grupo con conductas como el tabaquismo y el consumo diario de alcohol. Los tumores del tracto aerodigestivo superior comparten factores etiológicos comunes -incluyendo el tabaco y el alcohol- con las neoplasias esofágicas. Dado que se trata de factores de riesgo modificables, existe un gran potencial para intervenciones de salud pública orientadas a reducir el riesgo de desarrollo de esta neoplasia.27

Estudios prospectivos han reportado tasas de prevalencia de tumores esofágicos primarios-secundarios que oscilan entre 3,2% y 18,9% en pacientes con carcinoma epidermoide de cabeza y cuello. Esta variabilidad puede atribuirse a la diversidad de los modelos de estudio, a los períodos de seguimiento y a que algunos trabajos se enfocan exclusivamente en tumores sincrónicos o metacrónicos.9, 28 En nuestro estudio, la tasa de detección fue de 4,84%, un valor relevante que merece atención.

El tamaño medio de las lesiones malignas fue de 16,9 mm (Desviación estándar = 15,7; rango: 7 a 59 mm). Para establecer un punto de corte en la identificación de lesiones malignas, se elaboró una curva ROC y se utilizó el índice de Youden como criterio. Los resultados sugieren que las lesiones ≥ 7 mm se asocian a una mayor

Prevalencia de carcinoma epidermoide de esófago en pacientes con cáncer de cabeza y cuello Ana Victoria Martins Lima y col.

probabilidad de malignidad (OR = 39,7 [1,3 – 1.229,9]; p = 0,036), con una sensibilidad de 1,00, especificidad de 0,75 y un índice de Youden de 0,75.

El tratamiento se determinó sobre la base de factores como la morfología endoscópica, el estado clínico del paciente y el tratamiento previo recibido para el tumor primario de cabeza y cuello. Entre los 165 pacientes incluidos en el programa de pesquisa de TEPS, aproximadamente la mitad presentó lesiones avanzadas no aptas para tratamiento endoscópico y, por tanto, no candidatas a terapias menos invasivas. Un escenario similar ya ha sido descrito en estudios nacionales, lo que refleja la baja tasa de detección de neoplasias esofágicas en estadios tempranos en el estado de São Paulo y probablemente en todo el país.8

Aunque la efectividad del cribado endoscópico sigue siendo incierta en la población general,11 su beneficio ya ha sido establecido en grupos de alto riesgo, como los pacientes con antecedente o diagnóstico de neoplasia de cabeza y cuello.14-16 Por lo tanto, promover el diagnóstico precoz debe ser una prioridad no solo en los grandes centros médicos, también debe implementarse de manera más uniforme en todo el territorio nacional.

No obstante, los resultados del presente trabajo deben interpretarse considerando ciertas limitaciones, como su diseño retrospectivo, el tamaño muestral reducido y la ausencia de seguimiento longitudinal, factores que pueden restringir la generalización de los hallazgos. Estas características refuerzan la necesidad de realizar nuevas investigaciones con cohortes más amplias, idealmente multicéntricas y prospectivas, que permitan confirmar nuestros resultados y contribuir al desarrollo de estrategias diagnósticas y terapéuticas menos invasivas para estos pacientes.

Conclusión

Nuestros resultados muestran una prevalencia relevante de carcinoma epidermoide de esófago en pacientes con cáncer de cabeza y cuello, lo que refuerza la necesidad de implementar estrategias de pesquisa sistemática en este grupo de riesgo.

Consentimiento para la publicación. Para la confección de este manuscrito, se utilizaron datos anonimizados que no han distorsionado su significado científico.

Propiedad intelectual. Los autores declaran que los datos, las figuras y las tablas presentes en el manuscrito son originales y fueron realizadas en las instituciones a las que pertenecen.

Financiamiento. Este trabajo fue financiado por la Coordinación de Perfeccionamiento de Personal de Nivel Superior (CAPES), Brasil, bajo la beca [001].

Conflictos de interés. Los autores declaran no tener conflictos de intereses en relación con este artículo.

Aviso de derechos de autor © 2025 Acta Gastroenterológica Latinoamericana. Este es un artículo de acceso abierto publicado bajo los términos de la Licencia Creative Commons Attribution (CC BY-NC-SA 4.0), la cual permite el uso, la distribución y la reproducción de forma no comercial, siempre que se cite al autor y la fuente original.

Cite este artículo como: Martins Lima A V, Carvalho Franco F, Quevedo Penaloza C S y col. Prevalencia de carcinoma epidermoide de esófago en pacientes con cáncer de cabeza y cuello: estudio unicéntrico Acta Gastroenterol Latinoam. 202 5 ;5 5 ( 4 ): 379-385 . https://doi. org/ 10.52787/agl.v55i4.534

Referencias

1. Bray F, Laversanne M, Sung H, Ferlay J, Siegel RL, Soerjomataram I, et al. Global cancer statistics 2022: GLOBOCAN estimates of incidence and mortality worldwide for 36 cancers in 185 countries.CA Cancer J Clin.2024;74(3):229-263.

2. Tustumi F, Kimura CMS, Takeda FR, Uema RH, Salum RAA, Ribeiro-Júnior U, et al. Prognostic factors and survival analysis in esophageal carcinoma. Arq Bras Cir Dig.2016;29(3):138-41.

3. Wong MCS, Hamilton W, Whiteman DC, Jiang JY, Qiao Y, Fung FDH, et al. Global incidence and mortality of oesophageal cancer and their correlation with socioeconomic indicators: temporal patterns and trends in 41 countries. Sci Rep. 2018;8(1):4522.

4. Jégu J, Binder-Foucard F, Borel C, Velten M. Trends over three decades of the risk of second primary cancer among patients with head and neck cancer. Oral Oncol. 2013;49(1):9-14.

5. Watanabe S, Ogino I, Inayama Y, Sugiura M, Sakuma Y, Kokawa A, et al. Impact of the early detection of esophageal neoplasms in hypopharyngeal cancer patients treated with concurrent chemoradiotherapy. Asia Pac J Clin Oncol. 2017;13(2):e3-10.

6. Chen MC, Huang WC, Chan CH, Chen PT, Lee KD. Impact of second primary esophageal or lung cancer on survival of patients with head and neck cancer. Oral Oncol. 2010;46(4):249-54.

7. Lim H, Kim DH, Jung HY, Gong EJ, Na HK, Ahn JY, et al. Clinical significance of early detection of esophageal cancer in patients with head and neck cancer. Gut Liver. 2015;9(2):159-65.

Latinoam 2025;55(4):379-385

Prevalencia de carcinoma epidermoide de esófago en pacientes con cáncer de cabeza y cuello Ana Victoria Martins Lima y col.

8. Nobre Moura R, Kuboki Y, Baba ER, Safatle-Ribeiro A, Martins B, de Paulo GA, et al. Long-term results of an endoscopic screening program for superficial esophageal cancer in patients with head and neck squamous cell carcinoma. Endosc Int Open. 2022;10(2):E200-8.

9. Bugter O, Van de Ven SEM, Hardillo JA, Bruno MJ, Koch AD, Baatenburg de Jong RJ. Early detection of esophageal second primary tumors using Lugol chromoendoscopy in patients with head and neck cancer: a systematic review and meta-analysis. Head Neck. 2019;41(4):1122-30.

10. Kadota T, Abe S, Iwatsubo T, Saito Y, Kato M. Is Lugol chromoendoscopy omissible in screening for esophageal squamous cell carcinoma? Dig Endosc. 2024;36(2):174-84. DOI:10.1111/ den.14873

11. Gono K, Yamazaki K, Doguchi N, Nonami T, Obi T, Yamaguchi M, et al. Endoscopic observation of tissue by narrowband illumination. Opt Rev. 2003;10(4):211-5.

12. Chen YH, Wang YK, Chuang YS, Hsu WH, Kuo CH, Wu CW, et al. Endoscopic surveillance for metachronous esophageal squamous cell neoplasms among head and neck cancer patients. Cancers (Basel). 2020;12(12):3832.

13. Instituto Nacional de Câncer (INCA). Estimativa 2023: incidência de câncer no Brasil. Rio de Janeiro: INCA; 2023.160 p.

14. Participants in the Paris Workshop. The Paris endoscopic classification of superficial neoplastic lesions: esophagus, stomach, and colon. Gastrointest Endosc. 2003;58(6 Suppl):S3-43.

15. Zheng X, Mao X, Xu K, Lü L, Peng X, Wang M, et al. Massive endoscopic screening for esophageal and gastric cancers in a high-risk area of China. PLoS One. 2015;10(12):e0145097.

16. Wei WQ, Chen ZF, He YT, Feng H, Hou J, Lin DM, et al. Long-term follow-up of a community assignment, one-time endoscopic screening study of esophageal cancer in China. J Clin Oncol. 2015;33(17):1951-7.

17. Shiozaki H, Tahara H, Kobayashi K, Yano H, Tamura S, Imamoto H, et al. Endoscopic screening of early esophageal cancer with the Lugol dye method in patients with head and neck cancers. Cancer. 1990;66(10):2068-71.

18. Hori K, Okada H, Kawahara Y, Takenaka R, Shimizu S, Ohno Y, et al. Lugol-voiding lesions are an important risk factor for a second primary squamous cell carcinoma in patients with esophageal cancer or head and neck cancer. Am J Gastroenterol. 2011;106(5):858-65.

19. Hashimoto CL, Iriya K, Baba ER, Navarro-Rodriguez T, Zerbini MC, Eisig JN, et al. Lugol’s dye spray chromoendoscopy establishes early diagnosis of esophageal cancer in patients with primary head and neck cancer. Am J Gastroenterol. 2005;100(2) :275-82.

20. Sano Y, Kobayashi M, Hamamoto Y, Kato S, Fu K, Yoshino T. New diagnostic method based on color imaging using narrow band imaging (NBI) system for gastrointestinal tract. Gastrointest Endosc. 2001;53(5 Suppl):AB125. [abstract]

21. Hassan C, Ratanachu-ek T, Nan G, Kashin SV, Neumann H. Multicenter randomized controlled trial assessing performance parameters of different endoscopy systems. Gastrointest Endosc. 2019;89(6 Suppl):AB507. [abstract]

22. Neumann H. Case atlas [Internet]. SonoScape Medical Corp.; 2021 [cited 2025 Jan 10]. Available from: https://endoscopyonair. com/wp-content/uploads/2021/05/2.-SonoScape_SFI-VISTCase- Atlas_Combined.pdf

23. Uhlenhopp DJ, Then EO, Sunkara T, Gaduputi V. Epidemiology of esophageal cancer: update in global trends, etiology and risk factors. Clin J Gastroenterol. 2020;13(6):1010-21.

24. Wang L, Pang W, Zhou K, Li L, Wang F, Cao W, et al. Risk factors for esophageal squamous cell carcinoma in patients with head and neck squamous cell carcinoma. J Oncol. 2022;2022: 5227771.

25. Lopes-Ramos CM, Quackenbush J, DeMeo DL. Genome-wide sex and gender differences in cancer. Front Oncol. 2020;10: 597788.

26. Huang J, Koulaouzidis A, Marlicz W, Lok V, Chu C, Ngai CH, et al. Global burden, risk factors, and trends of esophageal cancer: an analysis of cancer registries from 48 countries. Cancers (Basel). 2021;13(1):141.

27. van de Ven SEM, de Graaf W, Bugter O, Spaander MCW, Nikkessen S, de Jonge PJF, et al. Screening for synchronous esophageal second primary tumors in patients with head and neck cancer. Dis Esophagus.2021;34(10):doab037.

28. Chung CS, Liao LJ, Lo WC, Chou YH, Chang YC, Lin YC, et al. Risk factors for second primary neoplasia of esophagus in newly diagnosed head and neck cancer patients: a case-control study. BMC Gastroenterol. 2013;13:154.

29. Chiou TW, Young CK, Hsu KH, Liao CT, Hu YF, Kang CJ, et al. The incidence of esophageal second primary cancer in head and neck cancer patients. Medicine (Baltimore). 2025;104 (17):e42181.

30. Cautar El Maimouni, Córdova H, Feliz-Ruiz S, Luzko Scheid I, Moreira L, Llach J, et al. Association of esophageal squamous cell carcinoma with head and neck cancer. Gastroenterol Hepatol 2025;48(5):502318.

Hiponatremia severa como marcadora de malignidad en pacientes con cirrosis hepática. Implicancias clínicas y relevancia pronóstica en dos casos

Jonatan Nicolás Domínguez · María José Cáceres · Liria Martínez Rejtman · Matías Zanetti · Rubén Guillermo Fernández · Mariano Arguello

Servicio de Gastroenterologia, Hospital Teodoro Juan Schestakow. San Rafael, Mendoza, Argentina.

Acta Gastroenterol Latinoam 2025;55(4):386-391

Recibido: 21/03/2025 / Aceptado: 25/11/2025 / Publicado online: 23/12/2025 / https://doi.org/10.52787/agl.v55i4.480

Resumen

La hiponatremia severa es una complicación frecuente (21,6%) en pacientes con cirrosis descompensada. En ocasiones, también puede manifestarse como un síndrome paraneoplásico, que puede preceder al diagnóstico de cáncer en un 5% de los casos. Se puede asociar a cáncer de pulmón (25% - 45%), cáncer colorrectal, cáncer de mama o linfomas. La hiponatremia refleja la complejidad de las interacciones entre la enfermedad hepática y los procesos oncológicos. En pacientes cirróticos descompensados, la hiponatremia se suele producir por la incapacidad renal para excretar agua libre de solutos, lo que resulta en

una dilución del sodio en sangre. Sin embargo, en contexto de cáncer, factores como la secreción ectópica de hormona antidiurética por los tumores pueden exacerbar esta condición. Este síndrome de secreción inadecuada de hormona antidiurética puede llevar a una retención adicional de agua, acentuando la hiponatremia de estos pacientes. Presentamos dos casos clínicos que ilustran esta relación: un paciente con metástasis hepáticas y una paciente con nódulos pulmonares, ambos con cirrosis compensada como enfermedad crónica, que ingresaron con hiponatremia severa. El manejo de estos pacientes requiere de un enfoque multidisciplinario, buscando neoplasias ocultas y normalizando cuidadosamente los valores de sodio para evitar complicaciones neurológicas. La identificación temprana de hiponatremia es crucial por su impacto pronóstico.

Palabras claves. Hiponatremia, cirrosis, síndrome paraneoplásico, síndrome de secreción inadecuada de hormona antidiurética.

Severe Hyponatremia as a Marker of Malignancy in Patients with Liver Cir-

rhosis.

Correspondencia: Jonatan Nicolás Domínguez Correo electrónico: yony.fcm21@gmail.com

Clinical Implications and

Prognostic

Relevance in Two Cases

Hiponatremia severa como marcadora de malignidad en pacientes con cirrosis hepática Jonatan Nicolás Domínguez y col.

Summary

Severe hyponatremia is a common complication (21.6%) in patients with decompensated cirrhosis. It can sometimes manifest as a paraneoplastic syndrome, which may precede the diagnosis of cancer in 5% of cases. It can be associated with lung cancer (25 - 45%), colorectal cancer, breast cancer, or lymphomas. Hyponatremia reflects the complexity of the interactions between liver disease and oncological processes. In decompensated cirrhotic patients, hyponatremia is usually caused by the kidney´s inability to excrete free water, resulting in dilution of blood sodium. However, in the context of cancer, factors such as ectopic antidiuretic hormone secretion by tumors can exacerbate this condition. This inappropriate antidiuretic hormone secretion can lead to additional water retention, worsening the hyponatremia in these patients. We present two clinical cases that illustrate this relationship: a patient with liver metastases and a patient with pulmonary nodules, both with compensated cirrhosis as a chronic disease, who were admitted with severe hyponatremia. The management of these patients requires a multidisciplinary approach, searching for occult neoplasms and carefully normalizing sodium levels to prevent neurological complications. Early identification of hyponatremia is crucial due to its prognostic impact.

Keywords. Hyponatremia, cirrhosis, paraneoplastic syndrome, inappropriate antidiuretic hormone syndrome.

se estima en un 21,6%, sino también por su posible subestimación. Si se considera el umbral de 135 mEq/l, utilizado comúnmente en la población general, la prevalencia podría aumentar hasta un 49%.1-4 Este fenómeno refleja la alta susceptibilidad de los pacientes cirróticos a desarrollar alteraciones en la homeostasis del sodio y del agua debido a los cambios hemodinámicos y neurohormonales característicos de esta enfermedad.1

La fisiopatología de la hiponatremia en la cirrosis hepática y en los síndromes paraneoplásicos está estrechamente relacionada con una combinación de disfunción renal, activación neurohormonal y alteraciones hemodinámicas sistémicas.

La hiponatremia en los pacientes con cirrosis se debe a la incapacidad del riñón para excretar agua libre de solutos, exacerbada por la secreción no osmótica de hormona antidiurética (ADH, por sus siglas en inglés).5 Estas alteraciones se agravan por la activación del sistema reninaangiotensina-aldosterona y el sistema nervioso simpático, que contribuyen al desequilibrio electrolítico y al aumento del volumen extracelular.6 En este contexto, la hiponatremia puede clasificarse en dos tipos principales: hiponatremia hipervolémica, que representa el 90% de los casos y se asocia con retención de agua y sodio; e hiponatremia hipovolémica, que afecta al 10% restante.

Abreviaturas

ADH: Hormona antidiurética.

SIADH: Síndrome de secreción inadecuada de hormona antidiurética.

AVP: Arginina vasopresina.

SCLC: Cáncer de pulmón de células pequeñas.

HTA: Hipertensión arterial.

RMN: Resonancia magnética nuclear.

TAC: Tomografía axial computada.

Introducción

La hiponatremia es uno de los trastornos electrolíticos más comunes y clínicamente significativos en pacientes con cirrosis hepática. Se define como una concentración sérica de sodio inferior a 130 mEq/l. Este problema adquiere relevancia no solo por su elevada prevalencia, que

La hiponatremia como síndrome paraneoplásico se asocia principalmente con el síndrome de secreción inadecuada de hormona antidiurética (SIADH, por sus siglas en inglés), que es una causa común de hiponatremia hipotónica en pacientes oncológicos. Este síndrome se caracteriza por la liberación ectópica de arginina vasopresina (AVP) por células tumorales, especialmente en el cáncer de pulmón de células pequeñas (SCLC, por sus siglas en inglés).7-9 Aproximadamente entre el 10% y el 45% de los casos de SCLC producen AVP, aunque solo entre el 1% y el 5% de los pacientes con cáncer de pulmón presentan síntomas de SIADH.8

La AVP actúa sobre los receptores V2 en los túbulos renales, aumentando la expresión de acuaporinas y promoviendo la retención de agua, lo que resulta en una disminución de la capacidad de excreción de agua libre y, como consecuencia, en hiponatremia. Este proceso conduce a una hiponatremia euvolémica e hipoosmolar, caracterizada por una baja osmolalidad sérica y una osmolalidad urinaria elevada.10

Desde el punto de vista clínico, la hiponatremia en la cirrosis y en los síndromes pareoplásicos puede manifestarse de diversas maneras, dependiendo de la rapidez con que se instala y de su gravedad. Los síntomas leves incluyen náuseas, vómitos, anorexia y cefalea, mientras que en

Hiponatremia severa como marcadora de malignidad en pacientes con cirrosis hepática

casos más avanzados o de instalación rápida pueden presentarse calambres musculares, inestabilidad, confusión mental, convulsiones y, en los escenarios más críticos, edema cerebral. Es importante destacar que, cuando la hiponatremia se desarrolla de manera lenta y progresiva, los pacientes suelen experimentar una adaptación fisiológica que atenúa los síntomas, haciendo que el trastorno pase inadvertido en las fases iniciales. Sin embargo, en aquellos casos en los que el descenso en los niveles de sodio ocurre de forma abrupta, las consecuencias pueden ser graves y potencialmente mortales.2-4

A pesar de su alta prevalencia e impacto en la calidad de vida y el pronóstico de los pacientes cirróticos, la hiponatremia sigue siendo un desafío diagnóstico y terapéutico.11-12

Su manejo requiere un enfoque individualizado que tenga en cuenta la corrección del desequilibrio electrolítico, el tratamiento de las complicaciones asociadas, el tratamiento de la enfermedad subyacente y el diagnóstico diferencial de otras etiologías que pueden coexistir con la cirrosis hepática.

El presente trabajo tiene como objetivo presentar dos casos clínicos que muestran la relación entre la hiponatremia severa y su presentación como síndrome paraneoplásico en pacientes con cirrosis compensada, destacando los mecanismos fisiopatológicos involucrados, las implicaciones clínicas y la importancia de un tratamiento adecuado para mejorar la calidad de vida de los pacientes.

El presente estudio cuenta con la aprobación del Comité de Ética del Hospital Teodoro J. Schestakow, conforme a las disposiciones institucionales vigentes y en cumplimiento de los principios éticos.

Presentación de casos

Caso 1.

Paciente masculino de 64 años con antecedentes patológicos de cirrosis por alcohol, hipertensión arterial (HTA), y antecedentes tóxicos de consumo de tabaco (80 paquetes año) y alcohol (200 gr/día desde hace 20 años). Consulta en guardia general por dolor abdominal tipo cólico en el flanco derecho, de 72 horas de evolución, que irradia hacia mesogastrio. Se acompaña de vómitos biliosos, distensión abdominal y cinco deposiciones diarias Bristol 7 sin sangre, moco, ni pus. El dolor abdominal y la diarrea ceden con la administración de propinox clorhidrato y tratamiento nutricional. A los 15 días consulta por pérdida de peso y trastorno del sensorio asociado a hiponatremia severa (< 120 mEq/l), quedando internado con sospecha de cirrosis descompensada, en el contexto

de una cirrosis de origen etílico confirmada por FibroScam CAP F4, con presencia de várices esofágicas pequeñas. Los exámenes complementarios incluyen una resonancia magnética nuclear (RMN) de abdomen y pelvis, que revela lesiones focales en el segmento VI del hígado, atribuibles a implantes metastásicos (Figuras 1 y 2).

Jonatan Nicolás Domínguez y col.
Figura 1.
Figura 2.

Hiponatremia severa como marcadora de malignidad en pacientes con cirrosis hepática

Además, se identifican lesiones focales en las glándulas suprarrenales, implantes óseos y peritoneales, así como adenomegalias precavas y a la derecha del origen del tronco celíaco. Laboratorio: TSH 0,98 µUI/Ml; T3 1,04 ng/ml; T4 1,22 ng/dl. Ionograma urinario de 24 horas: Na 65 mEq /24 horas, K 40 mEq/24 horas, Cl 180 mEq/24 horas. Ecocardiograma: índice de masa del ventrículo izquierdo (INMI) 65 gr/m 2 Examen físico: sin edemas, ni ascitis, ni ingurgitación yugular. Este caso muestra una extensión significativa de la enfermedad metastásica, con implicancias para el manejo y pronóstico del paciente. Se realizó tratamiento con reposición de sodio siguiendo protocolos actualizados, observándose una mejoría clínica que permitió el alta médica. Posteriormente, continuó con seguimiento ambulatorio, y falleció a los pocos meses por shock hipovolémico secundario a hemorragia digestiva variceal.

Caso 2.

Paciente femenina de 77 años con antecedentes patológicos de HTA y hepatitis autoinmune (anticuerpo ANA y ASMA positivos), sin antecedentes tóxicos y con una historia familiar de cirrosis en su madre. Consulta por debilidad generalizada y dificultad para la marcha. Experimenta debilidad progresiva de una semana de evolución que se intensifica en las últimas 24 horas, con dificultad creciente para la marcha. Durante la evaluación, se constata hiponatremia severa con niveles de sodio sérico de 110 mEq/l. Los exámenes complementarios incluyen una tomografía axial computada (TAC) de tórax que revela múltiples imágenes nodulares pulmonares bilaterales (Figura 3) y derrame pleural bilateral laminar.

3.

Jonatan Nicolás Domínguez y col.

Posteriormente, se realiza una RMN de abdomen con colangiorresonancia que muestra el hígado disminuido de tamaño, con bordes lobulados e intensidad heterogénea difusa, compatible con cirrosis. Se identifican también imágenes nodulares en la glándula suprarrenal izquierda, con diámetros de 13 mm y 20 mm, compatibles con adenomas. Laboratorio: TSH 1,01µUI/mL; T4 1,4 ng/dl. Ionograma urinario de 24 horas: Na 45 m Eq/24 horas, K 70 mEq/24 horas, Cl 150 mEq/ 24 horas. Ecocardiograma: fracción de eyección (FEY) 63%. Examen físico: no presenta edema, ni ascitis, ni ingurgitación yugular. Se indicó reposición de sodio siguiendo protocolos actualizados y tratamiento con antibióticos de amplio espectro, requiriéndose además soporte con vasopresores e intubación orotraqueal con asistencia respiratoria mecánica (ARM). La evolución clínica de la paciente fue tórpida, con desarrollo de shock séptico secundario a urosepsis y óbito. Este caso ilustra la progresión rápida y las complicaciones graves asociadas a la hiponatremia severa en el contexto de hepatitis autoinmune avanzada y enfermedad oncológica no diagnosticada.

Discusión

La hiponatremia es una complicación habitual en pacientes con cirrosis descompensada. Sin embargo, en los casos analizados, los hallazgos sugieren que no se trataría de una consecuencia directa de la descompensación hepática. Este dato tiene importantes implicancias clínicas, ya que orienta a reconsiderar el enfoque diagnóstico, terapéutico y pronóstico en este subgrupo de pacientes. En este contexto, la hiponatremia podría reflejar alteraciones hemodinámicas o metabólicas no necesariamente asociadas a la enfermedad hepática de base, e incluso, en algunos casos, constituir una manifestación de un síndrome paraneoplásico.

El primer caso, un paciente masculino de 64 años con metástasis hepáticas y suprarrenales, muestra cómo la hiponatremia severa (< 120 mEq/l) puede ser un indicador de la progresión significativa de una enfermedad oncológica avanzada. En este contexto, la hiponatremia no solo se atribuye a la disfunción hepática secundaria a las metástasis, sino también al impacto sistémico de la malignidad, incluyendo la activación neurohormonal y la secreción no osmótica de ADH. Este paciente ilustra la necesidad de un enfoque multidisciplinario para manejar tanto el desequilibrio electrolítico como las complicaciones derivadas de la enfermedad metastásica. 13,14

El segundo caso, una paciente femenina de 77 años

Figura

Hiponatremia severa como marcadora de malignidad en pacientes con cirrosis hepática

con antecedentes de hepatitis autoinmune y cirrosis hepática, refleja una progresión clínica más tórpida, marcada por hiponatremia severa (110 mEq/l) y evolución hacia un shock séptico fatal de origen urinario. Este caso subraya la complejidad del manejo en pacientes con comorbilidades severas, en quienes el monitoreo intensivo y el tratamiento integral son esenciales para prevenir desenlaces adversos.

En ambos casos, la hiponatremia severa actuó como un punto de convergencia entre las manifestaciones de la enfermedad hepática crónica compensada y un tumor primario. La hiponatremia severa fue un marcador paraneoplásico de malignidad, lo que limitó las opciones terapéuticas y el pronóstico de los pacientes.

Estos casos resaltan varios puntos claves para el manejo clínico. En primer lugar, la hiponatremia severa en pacientes con cirrosis debe ser identificada y abordada rápidamente, debido a su impacto potencial en el pronóstico. En segundo lugar, la normalización del sodio sérico debe realizarse de manera cuidadosa para evitar complicaciones neurológicas, como la mielinolisis pontina. En tercer lugar, es crucial un enfoque multidisciplinario que combine el tratamiento de la hiponatremia con el manejo de la enfermedad subyacente. Por último, la presencia de hiponatremia severa, particularmente en el contexto de enfermedades hepáticas avanzadas, debe considerarse un marcador de mal pronóstico, orientando las decisiones hacia un abordaje intensivo.

Conclusión

La hiponatremia severa en pacientes cirróticos compensados debe considerarse un signo de alerta para buscar etiologías no relacionadas con la enfermedad hepática. Su posible relación con síndromes paraneoplásicos u otras causas y la complejidad de su fisiopatología requieren un enfoque multidisciplinario, con el fin de optimizar el manejo y mejorar la calidad de vida del paciente.

En síntesis, la hiponatremia severa en pacientes con cirrosis hepática resalta la intersección entre alteraciones fisiopatológicas complejas y descompensaciones clínicas graves. Su manejo requiere no solo la corrección electrolítica, sino también una comprensión profunda del contexto clínico subyacente.

Propiedad intelectual. Los autores declaran que los datos, las figuras y las tablas presentes en el manuscrito son originales y se realizaron en sus instituciones pertenecientes.

Financiamiento. Los autores declaran que no hubo fuentes de financiación externas.

Conflicto de interés. Los autores declaran no tener conflictos de interés en relación con este artículo.

Aviso de derechos de autor © 2025 Acta Gastroenterológica Latinoamericana. Este es un artículo de acceso abierto publicado bajo los términos de la Licencia Creative Commons Attribution (CC BY-NC-SA 4.0), la cual permite el uso, la distribución y la reproducción de forma no comercial, siempre que se cite al autor y la fuente original

Consentimiento para la publicación. Se obtuvieron las autorizaciones institucionales correspondientes para la publicación del trabajo.

Cite este artículo como: Domínguez J N, Cáceres M J, Martínez Rejtman L y col. Hiponatremia severa como marcadora de malignidad en pacientes con cirrosis hepática. Implicancias clínicas y relevancia pronóstica en dos casos Acta Gastroenterol Latinoam. 202 5 ;5 5 ( 4 ): 386391 . https://doi. org/10.52787/agl.v55i4.480

Referencias

1. Castellanos L, Cárdenas L, Carrillo ML. Revisión Hiponatremia. Horiz Med. 2016;16(4):60-71.

2. Jao GT, Chiong JR. Hyponatremia in acute decompensated heart failure: Mechanisms, prognosis, and treatment options. Clin Cardiol. 2010;33(11):666-71.

3. Vaidya C, Ho W, Freda BJ. Management of hyponatremia: Providing treatment and avoiding harm. Cleve Clin J Med. 2010;77(10):715-26.

4. Ghali JK. Mechanisms, risks, and new treatment options for hyponatremia. Cardiology. 2008;111(3):147-57.

5. Guevara M, Ginés P. Hiponatremia en la cirrosis hepática: patogenia y tratamiento. Endocr y Nutr. 2010; 57(supl.2):15-21.

6. Adrogué HG, Tucker BM, Madias NE. Diagnóstico y tratamiento de la hiponatremia: una revisión. JAMA. 2022;328(3):280-91. DOI:10.1001/jama.2022.11176

7. Fibbi B, Marroncini G, Naldi L, Anceschi C, Errico A, Norello D, Peri A. Hiponatremia y cáncer: de la cama a la mesa. Cancers. 2023;15(4):1197. DOI:10.3390/cancers15041197

Jonatan Nicolás Domínguez y col.

Hiponatremia severa como marcadora de malignidad en pacientes con cirrosis hepática

8. Ost DE, Jim Yeung SC, Tanoue LT, Gould MK. Factores clínicos y organizacionales en la evaluación inicial de pacientes con cáncer de pulmón: diagnóstico y tratamiento del cáncer de pulmón. Guías de práctica clínica basadas en la evidencia del American College of Chest Physicians. 2013;143(5 Supl):e121S-e141S. DOI:10.1378/pecho.12-2352

9. Castillo JJ, Vincent M, Juez E. Diagnóstico y tratamiento de la hiponatremia en pacientes con cáncer. The Oncologist. 2012;17(6):756-65. DOI:10.1634/theoncologist.2011-0400

10. Warren AM, Grossmann M, Christ-Crain M, Russell N. Síndrome de antidiuresis inadecuada: de la fisiopatología al manejo. Endocrine Reviews. 2023;44(5):819-61. DOI:10.1210/endrev/ bnad010

Jonatan Nicolás Domínguez y col.

11. Angeli P, Wong F, Watson H, Ginès P. Hyponatremia in cirrhosis: results of a patient population survey. Hepatol. 2006; 44:1535-42.

12. Sterns RH, et al. The treatment of hyponatremia. Semin Nephrol. 2009;29(3):282-99.

13. Berardi R, Rinaldi, Caramanti M, Grohè C, Santoni M, Morgese F, Torniai M, Savin A, Fiordoliva I, Cascinu S. Hiponatremia en pacientes con cáncer: es hora de un nuevo enfoque. Crit Rev Oncol Hematol. 2016; 102:15-25. DOI:10.1016/j.critrevonc.2016.03.010

14. Grohé C. Hyponatremia in Oncology Patients. Front Horm Res. 2019;52:161-6. DOI:10.1159/000493245

Pancreatic Atypical Neurofibromatous Neoplasm with Uncertain Biological Potential (ANNUBP)

Mimicking a Solid Pseudopapillary Tumor Pancreatic ANNUBP

Santiago Bustince1

Pablo Capitanich1, 2

1 Department of General Surgery, Hospital Alemán.

2 Department of Surgery, Division of Hepatobiliary and Pancreatic Surgery, Hospital Alemán.

3 Department of Pathology, Hospital Alemán. City of Buenos Aires, Argentina.

Acta Gastroenterol Latinoam 2025;55(4):392-397

· Nicolás H Dreifuss1, 2 · Marcelo F Amante3 · Lucas McCormack1, 2

Received: 28/03/2025 / Accepted: 19/11/2025 / Published online: 23/12/2025 / https://doi.org/10.52787/agl.v55i4.481

Summary

Atypical neurofibromatous neoplasms of uncertain biological potential have recently been added as a subset of lesions that have the potential to transform into malignant peripheral nerve sheath tumors in patients with neurofibromatosis type 1. Only a few cases of atypical neurofibromatous neoplasms of uncertain biological potential , have been reported in the literature. Here we present the first case of this type of neoplasm located in the pancreas

Correspondence: Santiago Bustince Email: sbustince@hospitalaleman.com

in a 30-year-old woman with neurofibromatosis type 1. The mass was discovered incidentally on imaging studies. Computed tomography and magnetic resonance imaging showed a 3 x 2 cm solid-cystic mass in the head of the pancreas, suggestive of a pseudopapillary solid tumor. Following an inconclusive endoscopic ultrasound-guided biopsy, a pancreaticoduodenectomy was performed. The patient had an uneventful postoperative recovery. Histopathological and immunohistochemical analysis confirmed the diagnosis of atypical neurofibromatous neoplasms of uncertain biological potential. To our knowledge, this is the first report of this type of tumor located in the pancreas. They are often difficult to differentiate from other solid and solid-cystic tumors of the pancreas based on imaging studies. Imaging techniques such as magnetic resonance imaging and positron emission tomography along with computed tomography, combined with histopathology, and a history of type 1 neurofibromatosis are essential for an accurate diagnosis. Current treatment consists of radical surgical removal of the tumor, due to the risk of malignant transformation. This case highlights the importance of considering atypical neurofibromatous neoplasms of uncertain biological potential as a differential diagnosis in patients with neurofibromatosis type 1 and a pancreatic mass. Fur -

ther studies are needed to improve preoperative diagnostic strategies and evaluate long-term prognosis after surgical resection.

Keywords. Atypical neurofibromatous neoplasms of uncertain biological potential, pancreatic tumor, pancreaticoduodenectomy, neurofibromatosis type 1.

Neoplasia neurofibromatosa atípica pancreática con potencial biológico incierto (ANNUBP) simulando un tumor pseudopapilar sólido pancreático

Resumen

Las neoplasias neurofibromatosas atípicas de potencial biológico incierto se han añadido recientemente como un subconjunto de lesiones con potencial de transformación en tumores malignos de la vaina del nervio periférico en pacientes con neurofibromatosis tipo 1. Solo se han reportado unos pocos casos de neoplasias neurofibromatosas atípicas de potencial biológico incierto en la literatura. Aquí presentamos el primer caso de este tipo de neoplasia localizada en páncreas en una mujer de 30 años con neurofibromatosis tipo 1. La masa fue descubierta incidentalmente en estudios de imagen. La tomografía computarizada y la resonancia magnética mostraron una masa sólido-quística de 3 x 2 cm en la cabeza del páncreas, sugestiva de un tumor sólido pseudopapilar. Tras una biopsia guiada por ultrasonido endoscópico no concluyente, se realizó una duodenopancreatectomía. La paciente tuvo una recuperación postoperatoria sin complicaciones. El análisis histopatológico e inmunohistoquímico confirmó el diagnóstico de neoplasia neurofibromatosa atípica de potencial biológico incierto. Hasta donde sabemos, este es el primer informe sobre este tipo de tumor localizado en el páncreas. Suelen ser difíciles de diferenciar de otros tumores sólidos y sólido-quísticos del páncreas mediante estudios de imagen. Técnicas de imagen como la resonancia magnética y la tomografía por emisión de positrones junto con la tomografía computarizada, combinadas con la histopatología y los antecedentes de neurofibromatosis tipo 1 son esenciales para un diagnóstico preciso. El tratamiento actual consiste en la extirpación quirúrgica radical del tumor debido al riesgo de transformación maligna. Este caso resalta la importancia de considerar las neoplasias neurofibromatosas atípicas de potencial biológico incierto como diagnóstico diferencial en aquellos pacientes con neurofibromatosis tipo 1 y una masa pancreática. Se requieren más estudios para mejorar las es-

trategias diagnósticas preoperatorias y evaluar el pronóstico a largo plazo tras la resección quirúrgica.

Palabras claves. Neoplasias neurofibromatosas atípicas de potencial biológico incierto, tumor pancreático, pancreaticoduodenectomía, neurofibromatosis tipo 1.

Introducción

Neurofibromatosis type 1 (NF-1) is an autosomal dominant disorder with an estimated incidence of approximately 1 in 3,000 people, though this varyies by region. 1 Patients with NF-1 are highly predisposed to develop benign and malignant tumors that affect the central and peripheral nervous systems. Although most NF-1 manifestations impact the nervous system, other organs and tissues may also be affected. 2-7 Among patients who develop neurofibromas, 8 - 15% may develop a malignant peripheral nerve sheath tumor (MPNST) during their lifetime. 8 MPNSTs usually originate from a plexiform neurofibroma (PN) or an atypical neurofibromatous neoplasm of unknown biological potential (ANNUBP). Both PNs an ANNUBPs are considered premalignant lesions. 9

Case report

A 30-year-old female patient with a history of NF-1 was diagnosed incidentally with a 3 x 2 cm lesion in the pancreatic head (uncinate process) during a CT scan that was ordered to rule out acute appendicitis. The CT scan showed a 3 x 3 cm hypodense solid lesion in the pancreatic head that exhibited mild, slightly heterogeneous, and progressive enhancement after contrast was administered. These findings were suggestive of a solid pseudopapillary neoplasm. (Figure 1). The patient underwent surgery for acute appendicitis, after which the pancreatic mass was further investigated. Routine laboratory tests and tumor markers (CA 19-9, CEA, and chromogranin A) were within normal limits. An MRI revealed a 38 x 29 mm ovoid lesion with smooth contours and clearly defined margins. The tumor displayed heterogeneous signal characteristics, including moderate hyperintensity on T1-weighted images and hypointensity on T2-weighted images. Diffusion-weighted sequences revealed increased signal restriction. Post-contrast imaging demonstrated moderate, progressive enhancement with a non-uniform pattern, consistent with areas of cystic degeneration. The lesion did not cause ductal dilation or invasion of blood vessels. (Figure 2).

Figure 1. CT Scan showing a 3 x 3 cm hypodense solid lesion located at the junction of the pancreatic head and the uncinate process

lesion demonstrated mild, slightly heterogeneous, progressive enhancement

administration.

An endoscopic ultrasound was performed, showing a 3.5 cm solid-cystic lesion in the pancreatic uncinate process that displaced the superior mesenteric vein without signs of invasion. A biopsy was taken, but the pathology report was inconclusive. The chest

CT was normal. The patient underwent a conventional pancreaticoduodenectomy with single-loop reconstruction. The postoperative course was uneventful, and the patient was discharged on the 12th postoperative day.

Figure 2. MRI imaging showing an ovoid lesion with smooth contours and clearly defined margins

The lesion displayed heterogeneous signal characteristics, demonstrating moderate hyperintensity on T1 and hypointensity on T2. Post-contrast imaging revealed moderate, progressive enhancement with a non-uniform pattern consistent with areas of cystic degeneration (A). Image (B) depicts the magnetic resonance cholangiopancreatography.

Histopathology showed a 3.2 x 3 cm neurofibromatous lesion with fusocellular proliferation, areas of nuclear atypia, and hypercellularity. None of the 19 harvested lymph nodes were positive. Immunohistochemistry analysis confirmed the ANNUBP diagnosis (SOX10: diffuse positive; S100: diffuse positive; P53: > 10% mutated cells; P16: preserved nuclear expression; Ki67: 2% - low proliferative index). (Figure 3).

The
following contrast
Image (A) depicts a coronal section and image (B) represents an axial section.

Figure 3. Surgical specimen: Nodular lesion with a greyish colour, well-defined margins, measuring 3.2 x 3 cm

A(3-A). Histopathology: Lesion with a neurofibromatous appearance showing areas of nuclear atypia and hypercellularity in the absence of mitosis and necrosis (3-B -H&E- and 3-C -IHC p53-).

Discussion

NF-1 is the most common neurocutaneous disorder, affecting approximately one in 3,000 individuals. Typical diagnostic features include café-au-lait macules in the axillary or inguinal regions, freckles, and plexiform neurofibromas (PNs). Neurofibromas originate in the peripheral nerve sheath and are more frequently located in the skin and subcutaneous tissue of the head, neck, trunk, and extremities. Sometimes, however, they are located deeper within the muscle or spinal nerve roots. 9

ANNUBPs are borderline tumors representing an intermediate stage of malignant peripheral nerve sheath tumors (MPNSTs). MPNSTs are highly aggressive soft tissue sarcomas with a 5-year survival rate of 20% to 50%. 10 Previous studies have demonstrated that NF1-associated MPNSTs often originate from

PN or ANNUBPs, both classified as precancerous lesions. 9 It is estimated that eight to 15% of patients with these lesions may progress to MPNSTs during their lifetime. 11,1,12-13 NF1 and previous radiation exposure have been identified as risk factors for developing MPNSTs. PN and ANNUBP are novel concepts of premalignant MPNST lesions, with sequential mutations leading to sarcoma development. Rapid neurofibroma growth should prompt exhaustive evaluation to rule out malignant transformation. 1

The term ANNUBP was first proposed in 2017 during a consensus meeting.9 It was determined that tumors containing at least two of the following features -nuclear atypia, loss of neurofibroma architecture, high cellularity, and/or mitotic activity > 1/50 but < 3/10 high power fields- had a lower risk of local recurrence and metastases8 when compared to MPNST, and should be classified as

ANNUBP. This novel categorization avoids aggressive and morbid therapy in tumors with borderline malignant behaviour. Therefore, the term “low-grade MPNST” should be discouraged, unless clear histological features of malignancy are present, such as the typical histopathological appearance of a sarcoma with necrosis and a high mitotic index (more than three in 10 high-power fields).8

Neurofibromatous lesions rarely affect the lungs, abdominal or retroperitoneal organs. There are few reports on pancreatic neurofibromatous lesions in the literature. 11, 3-5, 14-16 However, none of them were categorized as ANNUBP. On a CT scan, pancreatic neurofibromas appear as well-circumscribed, hypoattenuating masses, or mildly enhancing masses. The classic appearance of an MRI is a “target” with a T2 hypointense core surrounded by a T2 hyperintense ring, similar to neurofibromas elsewhere in the body. 17

Kodai Miyamoto et al. reported the case of a 19-yearold male with an incidentally discovered mediastinal lesion. An MRI showed a well-defined, T1-isointense and T2-hyperintense mass without associated tumor necrosis. FDG-PET/CT revealed hypermetabolism in the tumor’s central region. A preoperative CT-guided biopsy confirmed ANNUBP diagnosis, and the patient underwent surgery with clear margins. At one-year follow-up, no recurrence were observed. 18

Interestingly, ANNUBP may exhibit increased FDG uptake on PET/CT. Some studies have reported that FDG-PET/CT is a useful tool for differenting MPNSTs from neurofibromas in NF1 patients, establishing a maximum standard uptake value (SUV) cutoff between 3.5 and 7.48. Malignancy is generally considered absent if the SUV is below 2.5, and MPNST is suspected when the SUV exceeds 3.5. However, other studies suggest that SUV values above 4.0 or 6.1 offer greater specificity in diagnosing MPNSTs. Due to the poor prognosis of MPNSTs, the 3.5 SUVmax cutoff is widely used. Furthermore, PET/CT may help detect occult metastases. 4 MRI may also help differentiate MPNSTs from neurofibromas or premalignant lesions. Tumor size > 64mm, a peripheral enhancement pattern, perilesional edema, and intratumoral cystic changes are considered worrisome features. 19

Differential diagnoses to consider include gastrointestinal stromal tumors (GISTs), pancreatic neuroendocrine tumors (PNETs), solid pseudopapillary tumors, and pancreatic adenocarcinomas.20 Similarly to pancrea-

tic ANNUBPs, GISTs may show FDG uptake on PET/ CT and can exhibit hypercellularity/cellular atypia on histopathology.21 PNETs also represent an important differential diagnosis, affecting 10% of patients with NF-1. They usually appear as well-defined masses with an intense gadolinium uptake, which helps differentiate them from an ANNUBP.22 Pancreatic lymphoma, though rare, can also present as a pancreatic mass with elevated FDG uptake on PET/CT. In this setting, a detailed clinical evaluation, high-quality cross-sectional imaging, tumor markers, histopathology, and immunohistochemistry are of the utmost importance for an accurate diagnosis.7-10

Currently, surgery is the preferred treatment for ANNUBP. Radical resection with negative margins may avoid malignant transformation. The role of chemotherapy in the treatment of this type of tumors is still being investigated. 23-26 Furthermore, the prognosis for patients with resected ANNUBP remains unclear due to the lack of long-term follow-up data.

Conclusions

AANUBP should be considered in the differential diagnosis of patients with NF-1 who present with a pancreatic mass. Further studies are needed to improve non-invasive preoperative diagnostic tools, determine risk factors for malignant transformation, and evaluate long-term outcomes following resection.

Ethical Approval and Patient Consent. Written informed consent was obtained from the patient for participation and publication of this case. The study was approved by the Institutional Ethics Committee of our hospital.

Intellectual Property. The authors declare that the data and figures presented in the manuscript are original and were carried out at their belonging institution.

Conflicts of interest. The authors declare that they have no conflicts of interest in relation to this article.

Funding. The authors declare that there were no external sources of funding.

Pancreatic Atypical Neurofibromatous Neoplasm with Uncertain Biological Potential Santiago Bustince et al.

Copyright © 2025 Acta Gastroenterológica latinoamericana. This is an openaccess article released under the terms of the Creative Commons Attribution (CC BY-NCSA 4.0) license, which allows non-commercial use, distribution, and reproduction, provided the original author and source are acknowledged.

Cite this article as: Bustince S, Dreifuss N H, Amante M F etal.PancreaticAtypicalNeurofibromatousNeoplasmwith Uncertain Biological Potential (ANNUBP) mimicking a Solid Pse dopapillary Tumor Pancreatic ANNUBP. Acta Gastroenterol Latinoam. 2025;55(4):392-397. https:// doi.org/10.52787/agl.v55i4.481

References

1. Chengjun Yao et al. Malignant Peripheral Nerve Sheath Tumors: Latest Concepts in Disease Pathogenesis and Clinical Management.

2. Angela C Hirbe, David H Gutmann. Neurofi bromatosis type 1: a multidisciplinary approach to care.

3. Tsai PJ, Liu KY, Wang SE, Shyr YM, Su CH, Chen TH. Solitary neurofibroma of the pancreas body not associated with type 1 neurofibromatosis. J. Chin Med Assoc. 2012.

4. Moletta L, Milanetto AC, Lico V, Farinati F, Alaggio R, Pedrazzoli S, et al. Neuroendocrine pancreatic tumor associated with a cerebral neurofibroma. A case report. Neuroendocrinology. 2015.

5. Imai H, Kobayashi J, Manabe R, Namio H, Ichinona T. A case of neurofibroma located in the retroperitoneum involving the uncinate process of the pancreas. Gastroenterol Jpn. 1989.

6. Róbert Papp, József Baracs, András Papp, Tamás Tornóczki, Aron Vincze, Ors Péter Horváth, Dezső Kelemen. Ganglioneuroma in the papilla of Vater with neurofibromatosis type 1: report of a case.

7. Nadja Grübel et al. Case report: Atypical neurofibromatous neoplasm with uncertain biological potential of the sciatic nerve and a widespread arteriovenous fistula mimicking a malignant peripheral nerve tumor in a young patient with neurofibromatosis type 1.

8. Markku M. Miettinen, MD et al. Histopathologic evaluation of Atypical Neurofibromatosis tumors and their transformation into malignant peripheral nerve sheath tumor in neurofibromatosis 1 patients - A consensus overview.

9. Mautner, V.F.; Hartmann, M.; Kluwe, L.; Friedrich, R.E.; Funsterer, C. MRI growth patterns of plexiform neurofibromas in patients with neurofibromatosis type 1. Neuroradiology 2006.

10. Kolberg M, Høland M, Agesen TH, Brekke HR, Liestøl K, Hall KS, et al. Survival meta-analyses for > 1 800 malignant peripheral nerve sheath tumor patients with and without neurofibromatosis type 1. Neuro Oncol. 2013 Feb.

11. Ling Song et al. Benign Pancreatic Neurofibroma with Malignant Imaging Features: A Case Report and Literature Review.

12. Ducatman BS, Scheithauer BW, Piepgras DG, Reiman HM, Ilstrup DM. Malignant peripheral nerve sheath tumors: a clinicopathologic study of 120 cases. Cancer. 1986.

13. Frustaci S, Gherlinzoni F, De Paoli A, et al. Adjuvant chemotherapy for adult soft tissue sarcomas of the extremities and girdles: results of the Italian randomized cooperative trial. J Clin Oncol 2001.

14. Akahane, M., et al. "Neurofibroma of the pancreas in a patient with neurofibromatosis type 1." Pathology International 62.8 2012.

15. Bretagnol, F., et al. "Pancreatic neurofibroma in von Recklinghausen's disease: A rare case report." Surgical Case Reports 10.4 2004.

16. Sclabas, G. M., et al. "Neurofibroma of the pancreas: a case report and literature review." Pancreas 28.3 2004.

17. Morgan M, Weerakkody Y, Pancreatic neurofibroma. Reference article, Radiopaedia.org (Accessed on 20 Nov 2024).

18. Kodai Miyamotoa et al. Atypical Neurofibromatous Neoplasm with Uncertain Biologic Potential in the Posterior Mediastinum of a Young Patient with Neurofibromatosis Type 1: A Case Report.

19. Hiroshi Koike et al. Diffusion-Weighted Magnetic Resonance Imaging Improves the Accuracy of Differentiation of Benign from Malignant Peripheral Nerve Sheath Tumors.

20. Kato O, Hattori K, Matsuyama M, Yoshizaki S. Neurofibroma of the pancreas - differentiation from carcinoma. Am J Gastroenterol. 1982.

21. Marcelo A Beltrán. Gastrointestinal stromal tumor (GIST) in a patient with neurofibromatosis type 1. Report of one case.

22. Edurne Lecumberri Pascual. Tumores neuroendocrinos gastroenteropancreáticos asociados a síndromes familiares.

23. Sordillo PP, Helson L, Hajdu SI, et al. Malignant schwannoma: clinical characteristics, survival, and response to therapy. Cancer. 1981.

24. Sarcoma Meta-analysis Collaboration (SMAC). Adjuvant chemotherapy for localised resectable soft tissue sarcoma in adults. Cochrane Database Syst Rev 2000.

25. Barbara S. Ducatman et al. Malignant Peripheral Nerve Sheath Tumors A Clinicopathologic Study of 120 Cases.

26. Rebecca Brown et al. Management of Central and Peripheral Nervous System Tumors in Patients with Neurofibromatosis. PMID: 37906356.

♦IMAGEN DEL NÚMERO

Solución

del caso:

Evaluación de un paciente con dolor epigástrico y hallazgos sincrónicos infrecuentes

Viene de la página 331

Se realizó la resección laparoscópica de ambos tumores. El análisis histológico reveló proliferaciones de células fusiformes bien delimitadas, sin atipia citológica ni actividad mitótica. La inmunohistoquímica mostró que la lesión subcardial fue positiva en actina de músculo liso (SMA; Figura 4 A) y negativa en CD117, DOG1 y CD34, hallazgos compatibles con leiomioma. En contraste, la lesión localizada en el cuerpo gástrico fue positiva en CD117, DOG1 (Figura 4 B) y CD34, y negativa en SMA y desmina, lo que permitió establecer el diagnóstico de tumor del estroma gastrointestinal (GIST).

El paciente presentó una evolución posquirúrgica favorable. A los 6 meses se encontraba asintomático, sin evidencia de recurrencia en los estudios de control.

Los GIST representan la mayoría de las lesiones subepiteliales gástricas, alrededor del 70%, y varían entre pequeñas lesiones endoluminales y masas exofíticas con áreas de hemorragia o necrosis. 1 El leiomioma es infrecuente en el estómago y típicamente se presenta como una masa hipodensa homogénea, de crecimiento endoluminal, ubicada en el cardias. 2 La coexistencia de ambos tumores es extremadamente rara, sin reportes previos similares.

Consentimiento para la publicación. Para la confección de este manuscrito, se utilizaron datos anonimizados que no han distorsionado su significado científico.

Figura 4. A.
Figura 4. B.

Hallazgos sincrónicos infrecuentes

Propiedad intelectual. Los autores declaran que los datos y las figuras presentes en el manuscrito son originales y se realizaron en sus instituciones pertenecientes.

Financiamiento. Los autores declaran que no hubo fuentes de financiación externas.

Conflicto de interés. Los autores declaran no tener conflictos de interés en relación con este artículo.

Aviso de derechos de autor © 2025 Acta Gastroenterológica Latinoamericana. Este es un artículo de acceso abierto publicado bajo los términos de la Licencia Creative Commons Attribution (CC BY­NC­SA 4.0), la cual permite el uso, la distribución y la reproducción de forma no comercial, siempre que se cite al autor y la fuente original

Cite este artículo como: López Grove R, Soloaga D y Spina J C. Evaluación de un paciente con dolor epigástrico y hallazgos sincrónicos infrecuentes Acta Gastroenterol Latinoam. 2025;55(4):398­399. https://doi.org/10.52787/ agl.v55i4.558

Referencias

1. Kang HC, Menias CO, Gaballah AH, Shroff S, Taggart MW, Garg N, et al. Beyond the GIST: mesenchymal tumors of the stomach. Radiographics. 2013 Oct;33(6):1673-90.

2. Lin YM, Chiu NC, Li AFY, Liu CA, Chou YH, Chiou YY. Unusual gastric tumors and tumor-like lesions: Radiological with pathological correlation and literature review. World J Gastroenterol. 2017 Apr 14;23(14):2493-504.

Acta Gastroenterol Latinoam 2025;55(4):398-399

Turn static files into dynamic content formats.

Create a flipbook