Vol 53 N1 2023

Page 1

GASTROENTEROLÓGICA LATINOAMERICANA

SECCIÓN EVIDENCIAS

Introducción a las revisiones sistemáticas y metaanálisis

Emiliano Rossi

EDITORIAL

Desnutrición y sarcopenia en los pacientes con cirrosis hepática: la importancia de la evaluación nutricional y las intervenciones basadas en la evidencia

Sara Noemí Schaab

Lesiones benignas localizadas en el hígado desde la mirada de las imágenes

Mariano Volpacchio

Hepatitis autoinmune: conceptos actuales

Mónica P. Marino

Complicaciones de patologías congénitas en la adultez

Ezequiel Balaban, María Laura Moreno, Mauricio Paternó, Florencia Costa, Daniela Milito, María Eugenia Oregui

MANUSCRITOS ORIGINALES

Factores asociados a la brosis avanzada en pacientes con enfermedad hepática grasa no alcohólica

Marina Jarschel Souza, Jessica Goedert Pereira, Ana Carolina de Souza Mangrich, Ana Paula Beltrame Farina Pasinato, Esther Buzaglo Dantas-Corrêa, Leonardo de Lucca Schiavon, Janaína Luz Narciso-Schiavon

Vol 53 Nº1 año 2023

ISSN: 2469-1119

Prevalencia de regurgitación infantil: experiencia del grupo de trabajo en trastornos del eje cerebro-intestino de la Sociedad Latinoamericana de Gastroenterología, Hepatología y Nutrición Pediátrica (SLAGHNP)

Carlos Alberto Velasco-Benitez, Steven Koremblun Murillo, Claudia Jimena Ortíz-Rivera, Edgar Játiva Mariño, Fátima Azereth Reynoso Zarzosa, Mariana Xail Espriu Ramírez, Jorge Alberto Macías-Flores, Roberto Arturo Zablah Córdova, Ricardo A. Chanis Águila, Trini Fragoso Arbelo, Milton Danilo Mejía Castro, Yunuen Rivera Suazo

La tasa de detección de adenomas en diferentes intervalos de edad sugiere iniciar el cribado de cáncer colorrectal a los 45 años Bleenis Gutiérrez Castro, Jóse Luis Fernández, Federico Cassella, Andrés Wonaga, Luis Viola

Calidad en colonoscopía: experiencia en un centro de endoscopía de Boyacá, Colombia

Clara Patricia Barreto Noratto, Luis Manuel Limas Solano, Carlos Arturo González

Uso de plasma rico en plaquetas autólogo en el tratamiento de la fisura anal crónica: una serie de casos

Neith Ortega Pérez

CASOS CLÍNICOS

Neoplasia papilar intracolecística: rara patología de la vesícula biliar. Desafío diagnóstico

Patricia López Penza, Mauro Mallarino, Alejandro Etcheverry, María Oreggia, Gustavo Burghi

Necrosectomía endoscópica transmural a través de fístula pancreático gástrica espontánea secundaria a necrosis encapsulada infectada

Juan Ramirez García, César Vargas-Alayza, Natali Ravelo

SOLUCIÓN DE CASO

Complicaciones de patologías congénitas en la adultez

Ezequiel Balaban, María Laura Moreno, Mauricio Paternó, Florencia Costa, Daniela Milito, María Eugenia Oregui

Órgano o cial

Sociedad de Gastroenterología del Uruguay
7 15 18 28 38 39
REVISIONES IMAGEN DEL NÚMERO
49 59 68 76 84 90 94

COMITÉ EDITORIAL

EDITOR EN JEFE

Jorge A. Olmos

Hospital de Clínicas José de San Martín, Universidad de Buenos Aires. Programa en Efectividad Clínica. Universidad de Buenos Aires, CABA

EDITORES ASOCIADOS

Mercedes Manresa

Instituto de Gastroenterología Salim, Salta Capital. Curso de investigación, bioinformática y bioestadística. Hospital de Clínicas José de San Martín. Universidad de Buenos Aires, CABA

Juan Pablo Stefanolo

Hospital de Gastroenterología

Dr. Carlos Bonorino Udaondo. Programa en Efectividad Clínica. Universidad de Buenos Aires, CABA

María Marta Piskorz

Hospital de Clínicas José de San Martín, Universidad de Buenos Aires. Programa en Efectividad Clínica. Universidad de Buenos Aires, CABA

Rodolfo Pizarro

Hospital Italiano de Buenos Aires. Master en Efectividad Clínica, CABA

Los integrantes del Comité Editorial acreditan formación en Edición y Corrección de Publicaciones Científicas. Universidad de Valencia, España Para la evaluación y preparación de los manuscritos, se siguen los requerimientos del COPE y el ICMJE.

SECRETARIA

Tamara Alvarez Worobey

PRODUCCIÓN Y EDICIÓN

Raúl Groizard

DISEÑO Y ARMADO DIGITAL

Carlos Daniel Casuscelli

CORRECTORES

María Nochteff Avendaño / Esperanza Janeiro / Gabriela Churla

PUBLICIDAD

Establecer contacto con: Secretaría Revista Acta: actasage@gmail.com

o Sociedad Argentina de Gastroenterología: sagesecretaria@gmail.com Tel.: 4816-9396/9391

SEGUINOS EN NUESTRAS REDES SOCIALES

ACTA GASTROENTEROL LATINOAM - MARZO 2023;VOL 53:Nº 1
/actagastro /ACTA_Gastro /actagastro

MANUSCRITOS ORIGINALES

Factores asociados a la fibrosis avanzada en pacientes con enfermedad hepática grasa no alcohólica

Marina Jarschel Souza, Jessica Goedert Pereira, Ana Carolina de Souza Mangrich, Ana Paula Beltrame Farina Pasinato, Esther Buzaglo Dantas-Corrêa, Leonardo de Lucca Schiavon, Janaína Luz Narciso-Schiavon

Prevalencia de regurgitación infantil: experiencia del grupo de trabajo en trastornos del eje cerebro-intestino de la Sociedad Latinoamericana de Gastroenterología, Hepatología y Nutrición Pediátrica (SLAGHNP)

Carlos Alberto Velasco-Benitez, Steven Koremblun Murillo, Claudia Jimena Ortíz-Rivera, Edgar Játiva Mariño, Fátima Azereth Reynoso Zarzosa, Mariana Xail Espriu Ramírez, Jorge Alberto Macías-Flores, Roberto Arturo Zablah Córdova, Ricardo A. Chanis Águila, Trini

Fragoso Arbelo, Milton Danilo Mejía Castro, Yunuen Rivera Suazo

La tasa de detección de adenomas en diferentes intervalos de edad sugiere iniciar el cribado de cáncer colorrectal a los 45 años

Bleenis Gutiérrez Castro, Jóse Luis Fernández, Federico Cassella, Andrés Wonaga, Luis Viola

Calidad en colonoscopía: experiencia en un centro de endoscopía de Boyacá, Colombia

Clara Patricia Barreto Noratto, Luis Manuel Limas Solano, Carlos Arturo González

3 ACTA GASTROENTEROL LATINOAM - MARZO 2023:VOL 53:Nº1 u ÍNDICE Introducción a las revisiones sistemáticas y metaanálisis Emiliano Rossi 7 SECCIÓN EVIDENCIAS IMAGEN DEL NÚMERO Complicaciones de patologías congénitas en la adultez Ezequiel Balaban, María Laura Moreno, Mauricio Paternó, Florencia Costa, Daniela Milito, María Eugenia Oregui 38 Desnutrición y sarcopenia en los pacientes con cirrosis hepática: la importancia de la evaluación nutricional y las intervenciones basadas en la evidencia Sara Noemí Schaab 15 EDITORIAL Lesiones benignas localizadas en el hígado desde la mirada de las imágenes Mariano Volpacchio 18 REVISIONES Hepatitis autoinmune: conceptos actuales Mónica P. Marino 28
49
39
68
59
4 ACTA GASTROENTEROL LATINOAM - MARZO 2023:VOL 53:Nº1 u ÍNDICE SOLUCIÓN DEL CASO Complicaciones de patologías congénitas en la adultez Ezequiel Balaban, María Laura Moreno, Mauricio Paternó, Florencia Costa, Daniela Milito, María Eugenia Oregui 94 Necrosectomía endoscópica transmural a través de fístula pancreático gástrica espontánea secundaria a necrosis encapsulada infectada Juan Ramirez García, César Vargas-Alayza, Natali Ravelo 90 CASOS CLÍNICOS Neoplasia papilar intracolecística: rara patología de la vesícula biliar. Desafío diagnóstico Patricia López Penza, Mauro Mallarino, Alejandro Etcheverry, María Oreggia, Gustavo Burghi 84 Uso de plasma rico en plaquetas autólogo en el tratamiento de la fisura anal crónica: una serie de casos Neith Ortega Pérez 76 MANUSCRITOS ORIGINALES
5 ACTA GASTROENTEROL LATINOAM - MARZO 2023:VOL 53:Nº1 u INDEX Prevalence of Infant Regurgitation: Experience of the Working Group on Disorders of Gut-Brain Interaction of the Latin American Society of Pediatric Gastroenterology, Hepatology and Nutrition (LASPGHAN) Carlos Alberto Velasco-Benitez, Steven Koremblun Murillo, Claudia Jimena Ortíz-Rivera, Edgar Játiva Mariño, Fátima Azereth Reynoso Zarzosa, Mariana Xail Espriu Ramírez, Jorge Alberto Macías-Flores, Roberto Arturo Zablah Córdova, Ricardo A. Chanis Águila, Trini Fragoso Arbelo, Milton Danilo Mejía Castro, Yunuen Rivera Suazo 49 Quality in Colonoscopy: Experience in an Endoscopy Center in Boyacá, Colombia Clara Patricia Barreto Noratto, Luis Manuel Limas Solano, Carlos Arturo González 68 EVIDENCE SECTION Introduction to Systematic Reviews and Meta-Analysis Emiliano Rossi 11 Benign Lesions Located in the Liver from an Imaging Perspective Mariano Volpacchio 28 REVIEWS Autoimmune Hepatitis: Up-to-Date Concepts Mónica P. Marino 18 IMAGE OF THE ISSUE Complications of Congenital Pathologies in Adulthood Ezequiel Balaban, María Laura Moreno, Mauricio Paternó, Florencia Costa, Daniela Milito, María Eugenia Oregui 38 ORIGINAL ARTICLES Factors Associated with Advanced Fibrosis in Patients with Nonalcoholic Fatty Liver Disease Marina Jarschel Souza, Jessica Goedert Pereira, Ana Carolina de Souza Mangrich, Ana Paula Beltrame Farina Pasinato, Esther Buzaglo Dantas-Corrêa, Leonardo de Lucca Schiavon, Janaína Luz Narciso-Schiavon 39 EDITORIAL Malnutrition and Sarcopenia in Patients with Liver Cirrhosis: the Importance of Evaluation Nutrition and Evidence-Based Interventions Sara Noemí Schaab 15 Adenoma Detection Rate at Different Age Intervals Suggests Starting Colorectal Cancer Screening at 45 Years of Age Bleenis Gutiérrez Castro, Jóse Luis Fernández, Federico Cassella, Andrés Wonaga, Luis Viola 59
6 ACTA GASTROENTEROL LATINOAM - MARZO 2023:VOL 53:Nº1 u INDEX SOLUTION OF THE CASE Complications of Congenital Pathologies in Adulthood Ezequiel Balaban, María Laura Moreno, Mauricio Paternó, Florencia Costa, Daniela Milito, María Eugenia Oregui 94 Transmural Endoscopic Necrosectomy through a Spontaneous Gastric-Pancreatic Fistula Secondary to Infected Encapsulated Necrosis Juan Ramirez García, César Vargas-Alayza, Natali Ravelo 90 CASE REPORTS Intracholecystic Papillary Neoplasm: Rare Pathology of the Gallbladder. A Diagnostic Challenge Patricia López Penza, Mauro Mallarino, Alejandro Etcheverry, María Oreggia, Gustavo Burghi 84 Use of Autologous Platelet-Rich Plasma in the Treatment of Chronic Anal Fissure: A Case Series Neith Ortega Pérez 76 ORIGINAL ARTICLES

SECCIÓN EVIDENCIAS

Introducción a las revisiones sistemáticas y metaanálisis

Médico cardiólogo. Departamento de Investigación. Hospital Italiano de Buenos Aires. Ciudad Autónoma de Buenos Aires, Argentina.

Acta Gastroenterol Latinoam 2023;53(1):7-10

Recibido: 14/01/2023 / Aceptado: 06/03/2023 / Publicado online: 30/03/2023 / https://doi.org/10.52787/agl.v53i1.291

Una revisión sistemática utiliza métodos explícitos y documentados, para reunir y sintetizar los hallazgos de estudios con el objetivo de responder una pregunta de investigación claramente formulada.1

Las revisiones sistemáticas cumplen distintas funciones, entre las que se encuentran: a) proporcionar una síntesis del conocimiento actual en un campo disciplinar, permitiendo identificar futuras prioridades de investigación, b) abordar preguntas que de otro modo no podrían ser respondidas por estudios individuales, c) identificar en la investigación problemas que deben corregirse en futuros estudios, y d) generar o evaluar teorías sobre cómo o por qué ocurren los fenómenos.2

La publicación de revisiones sistemáticas ha crecido exponencialmente en las últimas décadas. Si bien son consideradas evidencia de alta calidad, están sujetas a

sesgos y errores. Por este motivo, distintas organizaciones, entre ellas la Colaboración Cochrane, han elaborado guías metodológicas para mejorar la calidad.1, 3, 4

El proceso de realizar una revisión sistemática involucra una serie de pasos, que han sido detalladamente descritos por Muka y col.5

1) Definir la pregunta de investigación. Antes de comenzar debe establecerse el propósito de la revisión y plantear claramente la pregunta de investigación. En caso de estudios de intervención, emplear la metodología PICO ayudará a definir claramente la población (P) incluida, la intervención (I) evaluada, el comparador (C) de dicha intervención y los resultados (outcomes) obtenidos.

2) Establecer el equipo de trabajo. El grupo debe tener miembros con habilidades en la realización de búsquedas bibliográficas y metodología de la investigación, y conocimiento del área disciplinar.

3) Definir las estrategias de búsqueda. Una búsqueda exhaustiva es la base de una revisión sistemática. Las estrategias de búsqueda deben escribirse y ejecutarse en diferentes bases de datos en línea, para recuperar los estudios potencialmente elegibles. Las búsquedas inadecuadas pueden implicar no incluir artículos relevantes, lo que llevará a sesgar los resultados. En este sentido, las búsquedas deben realizarse en múltiples bases de datos (por ej., MEDLINE, Embase, Google Scholar, Cochrane CENTRAL, etcétera).

Correspondencia: Emiliano Rossi

Correo electrónico: emiliano.rossi@hospitalitaliano.org.ar

4) Definir los criterios de selección. Los criterios de selección sirven de guía a los revisores y permiten identi-

7 Acta Gastroenterol Latinoam 2023;53(1):7-10 ♦

ficar los estudios relevantes durante el proceso de tamizaje de artículos. Estos deben tener en cuenta el diseño del estudio, la población incluida, la exposición de interés, los resultados y la metodología de análisis.

5) Diseñar los formularios de recolección de datos. La extracción de los datos desde los estudios primarios es una etapa clave, para lo que deben utilizarse formularios estandarizados. Deben registrarse las características generales del estudio, las de la población incluida, las exposiciones, los métodos empleados y los resultados.

6) Escribir y registrar el protocolo de la revisión. El protocolo debe contener la pregunta de investigación y los objetivos de la revisión, los criterios de inclusión y exclusión, las estrategias de búsqueda y el plan de análisis. Para favorecer la transparencia es recomendable que la revisión se registre antes de su realización en una plataforma de acceso público, como Prospero (https://www.crd.york. ac.uk/PROSPERO/).

7) Ejecutar las estrategias de búsqueda. Las estrategias de búsqueda aplicadas en cada base de datos deben ser documentadas para permitir su reproducibilidad.

8) Recolectar todas las referencias y resúmenes. Esta recopilación debe hacerse en un único archivo.

9) Eliminar las citas duplicadas.

10) Revisar los títulos y los resúmenes de los artículos encontrados. Dos revisores trabajando en forma independiente deben evaluar la relevancia de cada cita y hacer la selección siguiendo los criterios de inclusión previamente establecidos. El proceso de gestión de citas durante la revisión puede ser bastante engorroso, por lo que se recomienda utilizar aplicaciones específicas (por ej., Covidence, EPPI-Reviewer, CADIMA, etcétera).

11) Seleccionar las citas a incluir. Se compara el listado de citas seleccionadas por cada revisor y se incluyen aquellas coincidentes. En caso de discordancia, esta se puede resolver mediante el consenso entre ambos o la intervención de un tercer revisor.

12) Recuperar los textos completos de los artículos y evaluar sus criterios de inclusión. Una vez obtenido el texto completo de los artículos seleccionados, ya sea a través de una biblioteca institucional local, una online o por pedido directo a los autores, dos revisores independientes deben evaluar si el artículo cumple con los criterios de inclusión establecidos. En caso de discrepancia entre los revisores, se aplica un procedimiento semejante al paso anterior. En este paso deben registrarse los motivos de exclusión de cada artículo.

13) Contactar a expertos temáticos. Es recomendable contactar a expertos en el área temática de estudio,

con el objetivo de identificar estudios perdidos, recuperar datos relevantes no publicados en forma completa o recalcular alguna medida de resumen necesaria.

14) Buscar referencias adicionales. Las referencias de los artículos seleccionados deben ser revisadas en búsqueda de algún artículo relevante que no haya sido identificado en la búsqueda inicial. También, se pueden buscar los artículos que citan a los artículos ya incluidos. Se requiere otra ronda de revisión de la relevancia de las nuevas citas, selección de las coincidentes, recuperación de los textos completos y evaluación de su elegibilidad.

15) Realizar el diagrama de flujo. Debe realizarse un diagrama de flujo en el que se detallen el número de citas relevantes encontradas a través de las búsquedas en bases de datos, las recomendaciones de expertos y las referencias adicionales; el número de estudios excluidos durante la evaluación del título y el resumen; el número de textos completos evaluados, y las razones de su exclusión.

16) Recolectar la información. Una vez identificados los artículos a incluir en la revisión, se debe extraer la información de cada uno utilizando el formulario previamente definido. Este paso debe ser realizado por dos revisores en forma independiente.

17) Evaluar la calidad de los estudios y su riesgo de sesgos. En este proceso también intervienen dos revisores. Se debe considerar en cada estudio primario el riesgo de presentar distintos tipos de sesgos. Para ello existen herramientas como RoB-2 para ensayos clínicos, ROBINS-1 para estudios de intervención no aleatorizados, Newcastle-Ottawa Scale para estudios observacionales prospectivos, QUADAS-2 para precisión de estudios diagnósticos, QUIPS para factores pronósticos y PROBAST para estudios de desarrollo, validación o actualización de modelos predictivos. La calidad de la evidencia de los estudios incluidos debe ser reportada e interpretada para permitir al lector evaluar cuán confiables son las conclusiones alcanzadas.

18) Preparar la base de datos para el análisis. La información recabada de cada estudio debe ser preparada para permitir realizar su síntesis descriptiva o un metaanálisis.

19) Elaborar la síntesis descriptiva. Deben describirse los estudios incluidos mediante tablas en las que se mencionen el autor, el año, el lugar de realización, las características de la población incluida, las exposiciones o intervenciones y los resultados observados. En caso de que no sea posible realizar un metaanálisis, se debe mencionar la dirección y el tamaño del efecto observado y su consistencia entre los distintos estudios.

8 Acta Gastroenterol Latinoam 2023;53(1):7-10
Introducción a las revisiones sistemáticas y metaanálisis Emiliano Rossi

20) Metaanalizar. El metaanálisis es una técnica estadística utilizada para sintetizar los resultados cuando las estimaciones de efecto de los estudios y sus varianzas están disponibles, lo que genera un resumen cuantitativo de los resultados.2 Sus ventajas potenciales son: 1) mejorar la precisión, ya que la combinación de diferentes estudios incrementa el tamaño muestral permitiendo alcanzar mayor poder estadístico, 2) responder preguntas no planteadas por los estudios individuales al permitir investigar la consistencia del efecto en un amplio rango de poblaciones e intervenciones, y 3) dirimir controversias surgidas de estudios aparentemente contradictorios, o generar nuevas hipótesis.1

El procedimiento más utilizado en un metaanálisis es el método de la inversa de la varianza. En él, el peso dado a cada estudio es ponderado por la inversa de su varianza (1/error estándar).2 Por lo tanto, los estudios más grandes, que tienen errores estándar más pequeños, tendrán más peso que los estudios más pequeños, que tienen errores estándar más grandes. Como consecuencia, se minimiza la imprecisión de la estimación del efecto agrupado.1

Los resultados de un metaanálisis se grafican mediante un diagrama llamado forest plot. En él se muestran las estimaciones del efecto, con sus intervalos de confianza, tanto de los estudios individuales como del global.1 La variabilidad en los efectos de la intervención evaluada en los diferentes estudios se denomina heterogeneidad estadística y es consecuencia de la diversidad clínica y/o metodológica. La diversidad clínica es la variabilidad en los participantes, las intervenciones y los resultados estudiados. La diversidad metodológica es la variabilidad en el diseño del estudio, las herramientas de medición de resultados y el riesgo de sesgos.1

La decisión de combinar los hallazgos de distintos estudios mediante un metaanálisis depende del grado de heterogeneidad encontrado. Si existe una variación considerable, especialmente si hay inconsistencia en la dirección del efecto, puede ser engañoso citar un valor promedio de este.1

Es importante usar los mismos estimadores y estandarizar su definición y codificación en todos los estudios incluidos. La heterogeneidad estadística puede ser evaluada mediante distintos métodos, de los cuales los más utilizados son el test Q de Cochrane y el I2 de Higgings.

Existen distintos paquetes de software que permiten realizar un metaanálisis (por ej., RevMan, Metafor, Stata, MetaXL, etcétera).

21) Explorar la heterogeneidad. El análisis de subgrupos, que debe estar predefinido en el protocolo del metaanálisis, permite explorar las fuentes de heterogeneidad. El análisis de metarregresión puede ser usado para

explorar si la heterogeneidad observada se debe a una característica determinada del estudio. Hay que tener en cuenta la heterogeneidad al interpretar los resultados.

22) Evaluar la existencia de sesgos de publicación. El sesgo de publicación se origina cuando la decisión de publicar un estudio se asocia con su resultado. Es conocido que existe una tendencia a no publicar estudios con resultados negativos. Este sesgo puede detectarse mediante asimetrías en el funnel plot (gráfico de embudo) y el test de Egger.

23) Evaluar la calidad de la evidencia. La calidad de la evidencia para cada resultado de la revisión sistemática se evalúa utilizando las guías GRADE. Los ensayos clínicos comienzan con la graduación más alta y los estudios observacionales, con la más baja. Se disminuye la valoración considerando las limitaciones del estudio, los sesgos de publicación y la inconsistencia de los resultados y esta se aumenta teniendo en cuenta si la magnitud del efecto es grande y si existe un fenómeno dosis-respuesta.

24) Publicar la revisión. Existen guías metodológicas que recomiendan cómo preparar de forma transparente, completa y precisa una revisión sistemática para su publicación. Estas también permiten a los lectores evaluar la adecuación de los métodos empleados y la confiabilidad de los resultados obtenidos.2

Considerar si se cumplieron los pasos necesarios en la elaboración de una revisión sistemática nos permitirá como lectores valorar adecuadamente su calidad.

Propiedad intelectual. El autor declara que los datos presentes en el manuscrito son originales y se realizaron en sus instituciones pertenecientes.

Financiamiento. El autor declara que no hubo fuentes de financiación externas.

Conflicto de interés. El autor declara no tener conflictos de interés en relación con este artículo.

Aviso de derechos de autor

© 2023 Acta Gastroenterológica Latinoamericana. Este es un artículo de acceso abierto publicado bajo los términos de la Licencia Creative Commons Attribution (CC BY-NC-SA 4.0), la cual permite el uso, la distribución y la reproducción de forma no comercial, siempre que se cite al autor y la fuente original.

9 Acta Gastroenterol Latinoam 2023;53(1):7-10 Introducción
a las revisiones sistemáticas y metaanálisis Emiliano Rossi

Introducción a las revisiones sistemáticas y metaanálisis Emiliano Rossi

Cite este artículo como: Rossi E. Introducción a las revisiones sistemáticas y metaanálisis. Acta Gastroenterol Latinoam. 2023;53(1):7-10 https://doi.org/10.52787/agl. v53i1.291

Referencias

1. Higgins JPT, Thomas J, Chandler J, Cumpston M, Li T, Page MJ, Welch VA (editores). Cochrane Handbook for Systematic Reviews of Interventions versión 6.3 (actualización en febrero de 2022). Cochrane, 2022. Disponible en: www.training.cochrane. org/handbook

2. Page MJ, McKenzie JE, Bossuyt PM, Boutron I, Hoffmann TC, Mulrow CD et al. The PRISMA 2020 statement: An updated guideline for reporting systematic reviews. BMJ. 2021;372:n71. PMID: 33782057

3. Whiting P, Savović J, Higgins JP, Caldwell DM, Reeves BC, Shea B et al.; ROBIS group. ROBIS: A new tool to assess risk of bias in systematic reviews was developed. J Clin Epidemiol. 2016;69:225-34. DOI: 10.1016/j.jclinepi.2015.06.005. Epub: 16 de junio de 2015. PMID: 26092286; PMCID: PMC4687950.

4. Shea BJ, Reeves BC, Wells G, Thuku M, Hamel C, Moran J et al. AMSTAR 2: a critical appraisal tool for systematic reviews that include randomised or non-randomised studies of healthcare interventions, or both. BMJ. 2017;21;358:j4008. DOI: 10.1136/ bmj.j4008. PMID: 28935701; PMCID: PMC5833365.

5. Muka T, Glisic M, Milic J, Verhoog S, Bohlius J, Bramer W et al. A 24-step guide on how to design, conduct, and successfully publish a systematic review and meta-analysis in medical research. Eur J Epidemiol. 2020;35(1):49-60. DOI: 10.1007/s10654-01900576-5. Epub: 13 de noviembre de 2019. PMID: 31720912.

10 Acta Gastroenterol Latinoam 2023;53(1):7-10

Introduction to Systematic Reviews and MetaAnalysis

Acta Gastroenterol Latinoam 2023;53(1):11-14

Received: 14/01/2023 / Accepted: 06/03/2023 / Published online: 30/03/2023 / https://doi.org/10.52787/agl.v53i1.291

A systematic review uses explicit and documented methods to collect and synthesize the findings of studies with the aim of answering a clearly formulated research question.1

Systematic reviews have several functions, including: a) providing a synthesis of current knowledge in a disciplinary field, allowing the identification of future research priorities, b) addressing questions that could not otherwise be answered by individual studies, c) identifying research problems that should be addressed in future studies and d) generating or evaluating theories about how or why the phenomena occur.2

The publication of systematic reviews has grown exponentially in the last decades. Although they are

considered high quality evidence, they are subject to biases and errors. For this reason, several organizations, including the Cochrane Collaboration, have developed methodological guides to improve quality.1, 3, 4

The process of conducting a systematic review involves a number of steps, which have been described in detail by Muka et al.5

1) Define the research question. Before beginning, the purpose of the review should be established and the research question should be clearly stated. In the case of intervention studies, using the PICO methodology will help to clearly define the population (P) included, the intervention (I) evaluated, the comparator (C), and the results (outcomes) obtained.

2) Establish the work team. The group should have members with skills in conducting literature searches and research methodology, and knowledge of the disciplinary area.

3) Define search strategies. A comprehensive search is the basis of a systematic review. Search strategies need to be written and run on different online databases to retrieve potentially eligible studies. Inadequate searches may mean not including relevant articles, which will lead to biased results. In this regard, searches must be carried out in multiple databases (e.g., MEDLINE, Embase, Google Scholar, Cochrane CENTRAL, etc.).

Correspondence: Emiliano Rossi

Email: emiliano.rossi@hospitalitaliano.org.ar

4) Define selection criteria. The selection criteria serve as a guide for reviewers and allow relevant studies to be identified during the article screening process. They

11 Acta Gastroenterol Latinoam 2023;53(1):11-14 ♦EVIDENCE SECTIÓN
Cardiologist. Department of Investigation. Hospital Italiano de Buenos Aires. Ciudad Autónoma de Buenos Aires, Argentina.

should take into account the study design, the population included, the exposure of interest, the results and the analysis methodology.

5) Design the data collection forms. Data extraction from primary studies is a key stage, and standardized forms must be used for this purpose. The general characteristics of the study, the included population, the exposures, the methods used and the results must be recorded.

6) Write and record the review protocol. The protocol must contain the research question and the objectives of the review, the inclusion and exclusion criteria, the search strategies, and the analysis plan. To promote transparency, it is recommended that the review is registered before it is carried out on a public access platform such as Prospero ( http://www.crd.york. ac.uk/PROSPERO ).

7) Execute the search strategies. The search strategies applied in each database must be documented to allow their reproducibility.

8) Collect all references and abstracts. This collection must be done in a single file.

9) Remove duplicate quotes

10) Review the titles and abstracts of the articles found. Two reviewers working independently must assess the relevance of each citation and make the selection following the previously established inclusion criteria. The process of citation management during the review can be quite cumbersome, so the use of specific applications (e.g., Covidence, EPPI- Reviewer, CADIMA, etc.) is recommended.

11) Select the quotes to be included. The list of citations selected by each reviewer is compared and those that coincide are included. In case of disagreement, this can be resolved by consensus between two reviewers or by the intervention of a third reviewer.

12) Retrieve the full texts of the articles and evaluate their inclusion criteria. Once the full text of the selected articles has been obtained, either through a local institutional library, an online library or by direct request to the authors, two independent reviewers must assess whether the article meets the established inclusion criteria. In case of discrepancy between the reviewers, a procedure similar to the previous step is applied. In this step, the reasons for exclusion of each article have to be recorded.

13) Contact thematic experts. It is advisable to contact experts in the thematic area of study, in order to identify missing studies, retrieve relevant data not published in full or recalculate any necessary summary measure.

14) Look for additional references. The references of the selected articles should be reviewed in search of any relevant article that was not identified in the initial search. Also, articles that cite articles already included can be searched. Another round of checking the relevance of new citations, selecting the matching ones, retrieval of full text and evaluation of their eligibility is required.

15) Make the flowchart. A flowchart should be made detailing the number of relevant citations found through database searches, expert recommendations, and additional references; the number of studies excluded during title and abstract evaluation; the number of full texts evaluated, and the reasons for their exclusion.

16) Collect the information. Once the articles to be included in the review have been identified, the information must be extracted from each one using the previously defined form. This step should be performed independently by two reviewers.

17) Evaluate the quality of the studies and their risk of bias. Two reviewers are also involved in this process. The risk of presenting different types of biases should be considered in each primary study. For this purpose, there are tools such as RoB-2 for clinical trials, ROBINS-1 for non-randomized intervention studies, Newcastle-Ottawa Scale for prospective observational studies, QUADAS-2 for the precision of diagnostic studies, QUIPS for prognostic factors and PROBAST for studies to develop, validate or update predictive models. The quality of evidence from the included studies should be reported and interpreted to allow the reader to assess how reliable the conclusions reached are.

18) Prepare the database for analysis. The information collected from each study must be prepared to allow its descriptive synthesis or meta-analysis to be carried out.

19) Prepare the descriptive synthesis. The included studies should be described by means of tables in which the author, year, place, characteristics of the included population, exposures or interventions and observed results are mentioned. If it is not possible to carry out a meta-analysis, the direction and size of the effect observed and its consistency between the different studies should be mentioned.

20) To meta-analyze. Meta-analysis is a statistical technique used to synthesize results when the effect es-

12 Acta Gastroenterol Latinoam 2023;53(1):11-14 Introduction to Systematic Reviews and
Meta-analyses Emiliano Rossi

timates from the studies and their variances are available, generating a quantitative summary of the results.2 Its potential advantages are 1) to improve precision, since the combination of different studies increases the sample size allowing for greater statistical power to be achieved, 2) to answer questions not raised by individual studies by making it possible to investigate the consistency of the effect in a wide range of populations and interventions, and 3) to resolve controversies arising from apparently contradictory studies, or to generate new hypotheses.1

The most widely used procedure in a meta-analysis is the inverse variance method. In it, the weight given to each study is weighted by the inverse of its variance (1/standard error2). Therefore, larger studies, which have smaller standard errors, will carry more weight than smaller studies, which have larger standard errors. As a consequence, the imprecision of the estimate of the pooled effect is minimized.1

Meta-analysis results are presented in a diagram called a forest plot. It shows the effect estimates, with their confidence intervals, both for the individual studies and for the overall study.1 The variability in the effects of the intervention evaluated in the different studies is called statistical heterogeneity and is a consequence of clinical and/or methodological diversity. Clinical diversity is the variability in the participants, interventions, and outcomes studied. Methodological diversity is the variability in study design, outcome measurement tools, and risk of bias. 1

The decision to combine findings from different studies through meta-analysis depends on the degree of heterogeneity found. If there is considerable variation, especially if there is inconsistency in the direction of the effect, it can be misleading to quote an average value for this effect.1

It is important to use the same estimators and to standardize their definition and coding across all included studies. Statistical heterogeneity can be assessed by different methods, of which the most widely used are the Cochrane’s Q test and the Higgins’ I2

There are different software packages that allow meta-analysis to be performed (e. g. RevMan, Metafor, Stata, MetaXL, etc.)

21) Explore heterogeneity. Subgroup analysis, which should be predefined in the meta-analysis protocol, allows the sources of heterogeneity to be explored. Meta-regression analysis can be used to explore whether the observed heterogeneity is due to a given study characteristic. Heterogeneity should be taken into account when interpreting the results.

22) Evaluate the existence of publication biases. Publication bias occurs when the decision to publish a study is associated with its result. It is known that there is a tendency not to publish studies with negative results. This bias can be detected by means of asymmetries in the funnel plot and the Egger test.

23) Evaluate the quality of the evidence. The quality of the evidence for each outcome of the systematic review is assessed using the GRADE guidelines. Clinical trials start with the highest ranking and observational studies with the lowest. The assessment is lowered by considering study limitations, publication biases and inconsistency of results and is increased by considering if the magnitude of the effect is large and if there is a dose-response phenomenon.

24) Publish the review. There are methodological guidelines that recommend how to prepare a systematic review for publication in a transparent, complete and accurate way. These also allow readers to assess the adequacy of the methods used and the reliability of the results obtained.2

Considering if the necessary steps were followed in the elaboration of a systematic review will allow us to assess its quality.

Intellectual Property. The author declares that the data presented in the manuscript are original and were carried out at his belonging institution.

Funding. The author declares that there were no external sources of funding.

Conflict of interest. The author declares that he has no conflicts of interest in relation to this article

Copyright

© 2023 Acta Gastroenterológica latinoamericana. This is an openaccess article released under the terms of the Creative Commons Attribution (CC BY-NCSA 4.0) license, which allows non-commercial use, distribution, and reproduction, provided the original author and source are acknowledged

Cite this article as: Rossi E. Introduction to Systematic Reviews and Meta-Analysis. Acta Gastroenterol Latinoam. 2023;53(1): 11-14 . https://doi. org/10.52787/agl. v53i1.291

13 Acta Gastroenterol Latinoam 2023;53(1):11-14 Introduction to Systematic Reviews and Meta-analyses Emiliano Rossi

Introduction to Systematic Reviews and Meta-analyses

References

1. Higgins JPT, Thomas J, Chandler J, Cumpston M, Li T, Page MJ, Welch VA (eds). Cochrane Handbook for Systematic Reviews of Interventions version 6.3 (updated February 2022). Cochrane, 2022. Available from www.training.cochrane.org/ handbook

2. Page MJ, McKenzie JE, Bossuyt PM, Boutron I, Hoffmann TC, Mulrow CD et al. The PRISMA 2020 statement: An updated guidelines for reporting systematic reviews. BMJ 2021;372:n 71. PMID: 33782057

3. Whiting P, Savovi ć J, Higgins JP, Caldwell DM, Reeves BC, Shea B et al. ; ROBIS group. ROBIS: A new tool to assess risk of bias in systematic reviews was developed. J Clin Epidemiol. 2016 Jan;69:225-34. DOI: 10.1016/j.jclinepi.2015.06.005 Epub 2015 Jun 16. PMID: 26092286; PMCID: PMC4687950.

4. Shea BJ, Reeves BC, Wells G, Thuku M, Hamel C, Moran J et al. AMSTAR 2: a critical appraisal tools for systematic reviews that include randomized or non-randomized studies of healthcare interventions, or both. BMJ. 2017 Sep 21;358:j4008. DOI: 10.1136/bmj.j4008. PMID: 28935701; PMCID: PMC5833365.

5. Muka T, Glisic M, Milic J, Verhoog S, Bohlius J, Bramer W et al. A 24-step guide on how to design, conduct, and successfully publish a systematic review and meta-analysis in medical research. Eur J Epidemiol. 2020 Jan;35(1):49-60. DOI: 10.1007/s10654019-00576-5. Epub 2019 Nov 13. PMID: 31720912.

14 Acta Gastroenterol Latinoam 2023;53(1):11-14

Desnutrición y sarcopenia en los pacientes con cirrosis hepática: la

en la evidencia

Licenciada en Nutrición. Docente de la Universidad Nacional de La Matanza de la Licenciatura en Nutrición. Provincia de Buenos Aires, Argentina.

Acta Gastroenterol Latinoam 2023;53(1):15-17

Recibido: 03/02/2023 / Aceptado: 07/03/2023 / Publicado online: 30/03/2023 / https://doi.org/10.52787/agl.v53i1.299

La desnutrición y la sarcopenia se presentan con frecuencia en los pacientes con cirrosis hepática. Se estima una prevalencia entre el 23% y el 60%, que puede ser aún mayor en los pacientes en lista de espera de trasplante hepático. Ambas condiciones se asocian con una mayor tasa de complicaciones y son predictoras independientes de menor sobrevida.1

La etiología de la desnutrición/sarcopenia en la cirrosis hepática es multifactorial y resulta de la combinación de alteraciones en la ingesta y en la digestión, absorción y metabolismo de los nutrientes. La ingesta dietética deficiente puede ser consecuencia de síntomas gastrointestinales, anorexia, disgeusia, ayunos prolongados y prescripciones dietéticas inadecuadas. La malabsorción podría ser secundaria a la hipertensión portal o a enfermedades

colestásicas. Sin embargo, la alteración en el metabolismo de los macronutrientes es un mecanismo central que contribuye de forma significativa a la desnutrición, ya que la resistencia periférica a la insulina y la reducción de los depósitos de glucógeno hepático promueven la gluconeogénesis precoz, conduciendo al catabolismo proteico y lipídico. Esto puede ocurrir ante un ayuno nocturno corto y asemejarse al estado catabólico de sujetos sanos sometidos a 2-3 días de inanición.2

Hasta hace menos de un año no había datos nacionales publicados sobre la prevalencia de desnutrición/sarcopenia en la cirrosis hepática.

Correspondencia: Sara Noemí Schaab

Correo electrónico: schaabsara@gmail.com

Recientemente se han publicado dos investigaciones realizadas en dos centros hospitalarios de la Ciudad de Buenos Aires. El primero fue el trabajo de González A. y Veissetes D., un estudio de corte transversal realizado en el Hospital de Gastroenterología Dr. Carlos Bonorino Udaondo. Se incluyeron 129 pacientes internados, de los cuales el 88,4% tuvo un score de Child Pugh (CP) B o C. Se evaluó el estado nutricional mediante la herramienta Royal Free Hospital-Global Assessment (RFH-GA) y la fuerza muscular mediante la fuerza de agarre, utilizando la dinamometría. Un 42% de la muestra tuvo desnutrición y 37,2% obtuvo valores bajos en la dinamometría. Se halló una asociación significativa entre el estado nutricional/fuerza de agarre y el score de CP, así como entre el estado nutricional y la fuerza de agarre. Con respecto a las complicaciones, fueron asociaciones estadísticamente significativas: una baja fuerza de agarre con encefalopatía

15 Acta Gastroenterol Latinoam 2023;53(1):15-17 ♦EDITORIAL
importancia de la evaluación nutricional y las intervenciones basadas

Desnutrición y sarcopenia en los pacientes con cirrosis hepática Sara Noemí Schaab

hepática; el sexo masculino, la malnutrición y un CP B-C con ascitis y el sexo masculino y la malnutrición con peritonitis bacteriana espontánea (PBE).3

Por su parte, el trabajo de Gutiérrez MC. y col., es un estudio observacional realizado en el Hospital de Clínicas José de San Martín. Se incluyeron 436 pacientes ambulatorios o internados, el 69,3% tuvo CP A y el 12, 8 % un score de MELD ≥ 15 puntos. Se evaluó el estado nutricional mediante la valoración global subjetiva (VGS) y la antropometría. El 49,5% de los pacientes presento algún grado de malnutrición por VGS y el 26,1% por antropometría. Hubo una asociación significativa entre el score MELD y la detección de desnutrición por antropometría y VGS (p < 0,0001). Los pacientes con algún grado de desnutrición presentaron mayor frecuencia de complicaciones como ascitis, PBE, encefalopatía portosistémica y otras infecciones bacterianas.4

En cuanto a la evaluación nutricional, muchas de las herramientas utilizadas habitualmente, como el Índice de Masa Corporal (IMC), no son adecuadas para ser utilizadas de forma aislada, debido a que no detectan cambios en la composición corporal y sus resultados pueden verse alterados por la presencia de ascitis o edemas. En el trabajo de Gutiérrez MC. y col. se destaca que, al calcular el IMC en 313 pacientes sin ascitis y edemas, solo el 6,7% presentó bajo peso.4

Según las guías de práctica clínica de la Asociación Europea para el Estudio del Hígado (EASL, por sus siglas en inglés), una valoración nutricional detallada incluye la evaluación de la masa muscular, herramientas de evaluación nutricional global y una evaluación minuciosa de la ingesta dietética.5

Para la medición de la masa muscular, si bien el patrón de oro es la tomografía computada a nivel de la tercera vértebra lumbar, en la práctica clínica se suele utilizar la antropometría mediante el cálculo de la circunferencia media muscular del brazo (CMMB). Sin embargo, la sarcopenia incluye la depleción tanto de la masa como de la función muscular. Debido a que recientemente se observó una mayor asociación entre la función muscular y la morbimortalidad, las guías de práctica clínica para la evaluación de sarcopenia se centran en la medición de esta última.6

Para la evaluación nutricional global, las guías mencionadas recomiendan la herramienta RFH-GA, ya que es específica para pacientes con hepatopatía crónica, presenta buena correlación con otras mediciones de composición corporal y es predictora de complicaciones posttrasplante hepático y sobrevida. La misma utiliza para el diagnóstico la combinación del IMC (utilizando el peso seco), la CMMB y la ingesta dietética.5

El trabajo de Gutiérrez MC. y col. utilizó una combinación de VGS con antropometría (pliegue tricipital y

CMMB para evaluar masa grasa y muscular respectivamente), ya que al momento de la recolección de la muestra aún no había guías de práctica clínica y el patrón de oro era la VGS.4 La VGS comprende la integración de datos de la historia clínica, cambios de peso y de la ingesta, presencia de síntomas gastrointestinales, capacidad funcional y examen físico del paciente.7 Tiene como limitación una correlación baja con otras mediciones objetivas de la evaluación nutricional y subvalora la pérdida de masa muscular en esta población, por lo que debería ser utilizada junto con la antropometría.8-9

Más allá de los métodos utilizados, las diferentes guías y la mayoría de las publicaciones coinciden en la importancia de realizar una evaluación nutricional completa que incluya parámetros objetivos y subjetivos.

Es importante contemplar que la desnutrición/sarcopenia suele ser más evidente en pacientes con cirrosis descompensada que en aquellos compensados. En el trabajo de Gutiérrez MC. y col., se destaca que el 69,3% tuvo un score de CP A y la prevalencia de desnutrición en esta categoría fue del 20,5% según la antropometría y del 36,1% según VGS.4 Estos datos son de relevancia ya que, en esta categoría de CP, el diagnóstico precoz de la desnutrición y el inicio de un tratamiento nutricional oportuno que intente revertirla podrían tener un impacto beneficioso en el pronóstico.

Teniendo en cuenta este escenario, cabe destacar que históricamente se ha sometido a estos pacientes a múltiples restricciones alimentarias, desde dietas hipoproteicas en aquellos con encefalopatía, restricciones severas de sodio en el síndrome ascítico edematoso, hasta la prescripción en la práctica clínica de la dieta denominada “hepatoprotectora”. Esta última, si bien no hay referencias bibliográficas, consiste en una dieta hipograsa, de fácil digestión y que elimina alimentos específicos. Este tipo de intervenciones no solo carecen de evidencia científica sino que empeoran el estado nutricional de los pacientes, lo cual es preocupante a la luz de los datos mostrados con anterioridad.

Los trabajos publicados mencionados previamente demuestran que en nuestro medio se puede realizar investigación de buena calidad sobre nutrición en gastroenterología y hepatología. La realización de nuevos trabajos de investigación que aporten este tipo de información es de especial importancia para tomar decisiones basadas en una mejor evidencia.

Propiedad intelectual. La autora declara que los datos presentes en el manuscrito son originales y se realizaron en sus instituciones pertenecientes.

Financiamiento. La autora declara que no hubo fuentes de financiación externas.

16 Acta Gastroenterol Latinoam 2023;53(1):15-17

Desnutrición y sarcopenia en los pacientes con cirrosis hepática Sara Noemí Schaab

Conflicto de interés. La autora declara no tener conflictos de interés en relación con este artículo.

2. Juakiem W, Torres DM, Harrison SA. Nutrition in cirrhosis and chronic liver disease. Clin Liver Dis. 2014 Feb;18(1):179-90.

Aviso de derechos de autor

© 2023 Acta Gastroenterológica Latinoamericana. Este es un artículo de acceso abierto publicado bajo los términos de la Licencia Creative Commons Attribution (CC BY-NC-SA 4.0), la cual permite el uso, la distribución y la reproducción de forma no comercial, siempre que se cite al autor y la fuente original

Cite este artículo como: Sara Noemí Schaab. Desnutrición y sarcopenia en los pacientes con cirrosis hepática: la importancia de la evaluación nutricional y las intervenciones basadas en la evidencia. Acta Gastroenterol Latinoam. 2023; 53(1):15-17. https://doi.org/10.52787/agl.v53i1.299

3. Veissetes D, González A. Evaluación nutricional de pacientes con cirrosis hepática hospitalizados y el impacto en el pronóstico de la enfermedad: estudio de corte transversal. Acta Gastroenterológica Latinoamericana. 2020;52(3):367-377.

4. Gutiérrez MC, Curia A, Rey E, Sordá JA, Daruich J, González Ballerga E. Prevalencia de malnutrición en pacientes con cirrosis hepática: estudio observacional. Acta Gastroenterológica Latinoamericana. 2020;52(4),464-475.

5. Merli M, Berzigotti A, Zelber-Sagi S, Dasarathy S, Montagnese S, Genton L, Plauth M, Parés A. EASL Clinical Practice Guidelines on nutrition in chronic liver disease. Journal of Hepatology. 2019;70(1):172-93.

6. Cruz-Jentoft AJ, Bahat G, Bauer J, Boirie Y, Bruyère O, Cederholm T, Cooper C, Landi F, Rolland Y, Sayer AA, Schneider SM, Sieber CC, Topinkova E, Vandewoude M, Visser M, Zamboni M; Writing Group for the European Working Group on Sarcopenia in Older People 2 (EWGSOP2), and the Extended Group for EWGSOP2. Sarcopenia: revised European consensus on definition and diagnosis. Age Ageing. 2019 Jan 1;48(1):16-31.

7. Detsky AS, McLaughlin JR, Baker JP, Johnston N, Whittaker S, Mendelson RA, et al. What is subjective global assessment of nutritional status? J Parenter Enteral Nutr. 1987;11:8-13.

Referencias

1. Bunchorntavakul C, Reddy KR. Review article: malnutrition/sarcopenia and frailty in patients with cirrhosis. Aliment Pharmacol Ther. 2020;51(1):64-77.

8. Topan MM, Sporea I, Dănilă M, Popescu A, Ghiuchici AM, Lupușoru R, et al. Comparison of Different Nutritional Assessment Tools in Detecting Malnutrition and Sarcopenia among Cirrhotic Patients. Diagnostics. 2022;12(4):893.

9. Bischoff SC, Bernal W, Dasarathy S, Merli M, Plank LD, Schütz T, et al. ESPEN practical guideline: Clinical nutrition in liver disease. Clinical Nutrition. 2020;39(12):3533-62.

17 Acta Gastroenterol Latinoam 2023;53(1):15-17

Lesiones benignas localizadas en el hígado desde la mirada de las imágenes

Mariano Volpacchio

Hospital de Clínicas José de San Martín, Universidad de Buenos Aires. Centro Rossi.

Ciudad Autónoma de Buenos Aires, Argentina.

Acta Gastroenterol Latinoam 2023;53(1):18-27

Recibido: 06/03/2023 / Aceptado: 27/03/2023 / Publicado online: 30/03/2023 / https://doi.org/10.52787/agl.v53i1.308

Resumen

La amplia mayoría de las lesiones focales benignas en el hígado son incidentalmente descubiertas en evaluaciones realizadas en diferentes escenarios clínicos. Dichas detecciones se han incrementado como consecuencia del progreso de la tecnología y con relación al empleo cada vez más frecuente de los diferentes métodos por imágenes. Los hallazgos de imágenes focales plantean dilemas diagnósticos y, por consiguiente, el desafío de cómo manejarlos. En esta revisión se analizarán las lesiones benignas más frecuentes del hígado y su aspecto en las diversas técnicas de imágenes. Además, se pondrá énfasis en las características que ayudan a acotar el diagnóstico diferencial para luego sugerir un diagnóstico específico.

Palabras claves. Lesiones focales hepáticas benignas, hemangioma hepático, hiperplasia nodular focal, adenoma hepatocelular, imágenes, tomografía computada, resonancia magnética.

Benign Lesions Located in the Liver from an Imaging Perspective

Summary

The vast majority of benign focal liver lesions are incidentally discovered in imaging exams performed in a variety of clinical scenarios. Such detection has increased as a result of technological progress and in the increasingly frequent use of different imaging methods. Focal imaging findings pose diagnostic dilemmas, and therefore, the consequent challenge of how to treat them. This review will analyze the most frequent benign focal liver lesions and their appearance on different imaging techniques. Moreover, emphasis will be placed on the characteristics that help to narrow the differential diagnosis and eventually suggest a specific diagnosis.

Keywords. Benign hepatic focal lesions, hepatic hemangioma, focal nodular hyperplasia, hepatocellular adenoma, imaging, computed tomography, magnetic resonance.

Abreviaturas

TCMC: Tomografía computada multicorte.

RM: Resonancia magnética.

OATP: Sigla en inglés de proteínas transportadoras de aniones orgánicos.

PET: Sigla en inglés de tomografía por emisión de positrones.

19F-FDG: Fluorodesoxiglucosa.

HNF: Hiperplasia nodular focal.

Correspondencia: Mariano Volpacchio

Correo electrónico: mvolpacchio@gmail.com

TC: Tomografía computada.

ADC: Sigla en inglés de coeficiente de difusión aparente.

18 Acta Gastroenterol Latinoam 2023;53(1):18-27 ♦REVISIÓN

CHE: Contraste hepatoespecifico.

CHC: Carcinoma hepatocelular.

AHC: Adenoma hepatocelular.

AHCI: Adenoma hepatocelular inflamatorio.

ACO: Anticonceptivos orales.

Introducción

Existen diferentes modalidades diagnósticas para la evaluación de las lesiones hepáticas benignas. Cada modalidad diagnóstica tiene sus indicaciones y contraindicaciones, sus ventajas y desventajas. Es fundamental conocer en detalle cada una de las técnicas para poder realizar una selección de manera juiciosa y arribar a un diagnóstico de la manera menos invasiva y más costo-efectiva.

Técnicas de imágenes

Si bien la ecografía sobresale por ser una técnica de bajo costo, estar disponible y ser inocua, tiene algunas limitaciones. Esto tiene que ver fundamentalmente con su dependencia del biotipo del paciente y del operador. El desarrollo y el empleo del contraste ecográfico permiten evaluar la presencia o la ausencia de realce, como así también la valoración de su patrón morfológico y hemodinámico. Sin embargo, su aplicación clínica es variable en diferentes partes del mundo, por otra parte, estos contrastes no están disponibles comercialmente en muchos países. Asimismo, la modalidad de exploración inherente a la ecografía limita la evaluación simultánea de lesiones múltiples.

La TCMC es una técnica que está ampliamente disponible y es efectiva en términos de sensibilidad en virtud de una exquisita resolución espacial. Entre sus desventajas se destaca el uso de radiación ionizante y la necesidad de contraste yodado por vía endovenosa. Asimismo, su capacidad para tipicar la textura intrínseca de la lesión es inferior a la ofrecida por la RM.

La RM es la técnica favorita por su inocuidad y la resolución de las imágenes. Ofrece información basada en múltiples parámetros tisulares y aporta, de esta manera, biomarcadores subrogantes que permiten sugerir diagnósticos probables y, en muchos casos, específicos, con mayor grado de confianza por parte del intérprete experimentado. Por ejemplo, la inclusión de secuencias específicas para la detección de lípidos intravóxel, como las secuencias T1 eco de gradiente dual (en fase y fuera de fase) o Dixon, permite reconocer en forma específica la presencia de grasa microscópica (citoplasmática), mientras que las secuencias con supresión grasa clásicas demuestran grasa macroscópica. La secuencia de difusión evalúa el movimiento a escala microscópica de molécu-

las de agua en los tejidos y ofrece, de esta manera, información cualitativa y cuantitativa que refleja celularidad (a mayor densidad celular menor grado de difusión). Por otra parte, el empleo de contraste hepatoespecífico (ácido gadoxético) permite confirmar o descartar la naturaleza hepatocelular de una lesión a partir de la presencia de proteínas transportadoras de aniones orgánicos específicos del hepatocito normal (OATP B1 y OATP B3), así como su diferenciación y la presencia de sistema biliar funcional intralesional.

La evaluación con PET con 19F-FDG, ya sea en equipos hibridos con tomografia computada o RM, no tiene un rol en la evaluación y caracterización de nódulos hepáticos, y la gran mayoría de las lesiones benignas no difieren en el metabolismo de la glucosa con respecto al parénquima normal, con el consiguiente hipometabolismo. Incluso, pueden manifestarse como defectos fotopénicos, como es el caso de los hemangiomas o los quistes.

Lesiones relevantes en la práctica diaria

A continuación, se describen las lesiones benignas más frecuentes y relevantes en la práctica diaria. Las lesiones de naturaleza quística no están incluidas en la revisión del tema dado que, en su mayoría, no suelen plantear un problema diagnóstico. La discusión se enfocará en el hígado sano, que es el contexto en el que suelen observarse estas lesiones, aunque también se han descripto nódulos similares a la HNF en pacientes con cirrosis.

Hemangioma

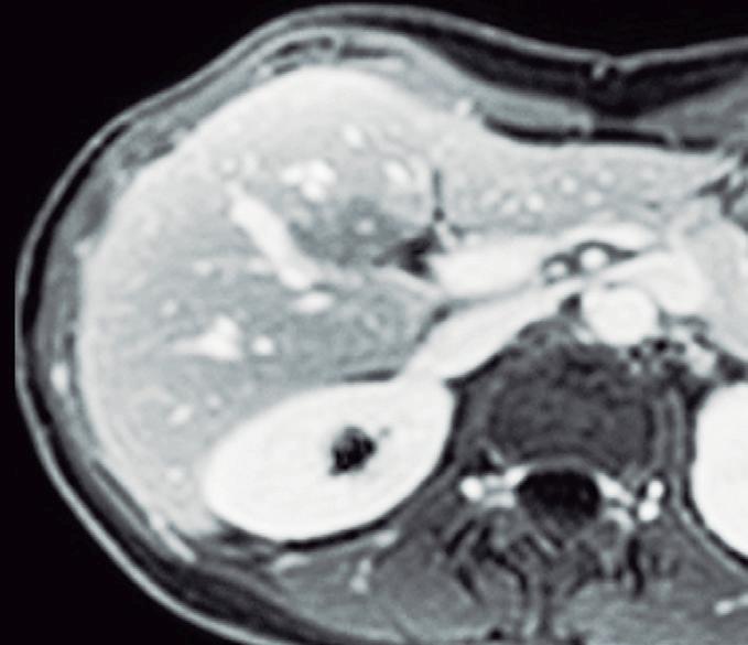
El hemangioma es la lesión hepática benigna más frecuente (después de los quistes simples) y a menudo es múltiple. Es una lesión vascular benigna formada por estructuras vasculares inmersas en un estroma conectivo. Como casi todas las lesiones hepáticas, es irrigada mediante ramas de la arteria hepática, tiene flujo interno lento y carece de shunts arteriovenosos o de vasos de neoformación. Cuando los hemangiomas son de mayor tamaño suelen presentar una heterogeneidad central producto de la presencia de fibrosis, hialinización o trombosis. De dichas características surge el aspecto que presentan en las imágenes. En ecografía suelen ser hiperecogénicos (pueden ser también hipoecogenicos). Típicamente, tienen bordes netos y no presentan halo periférico; esta característica es sugestiva de lesiones malignas.

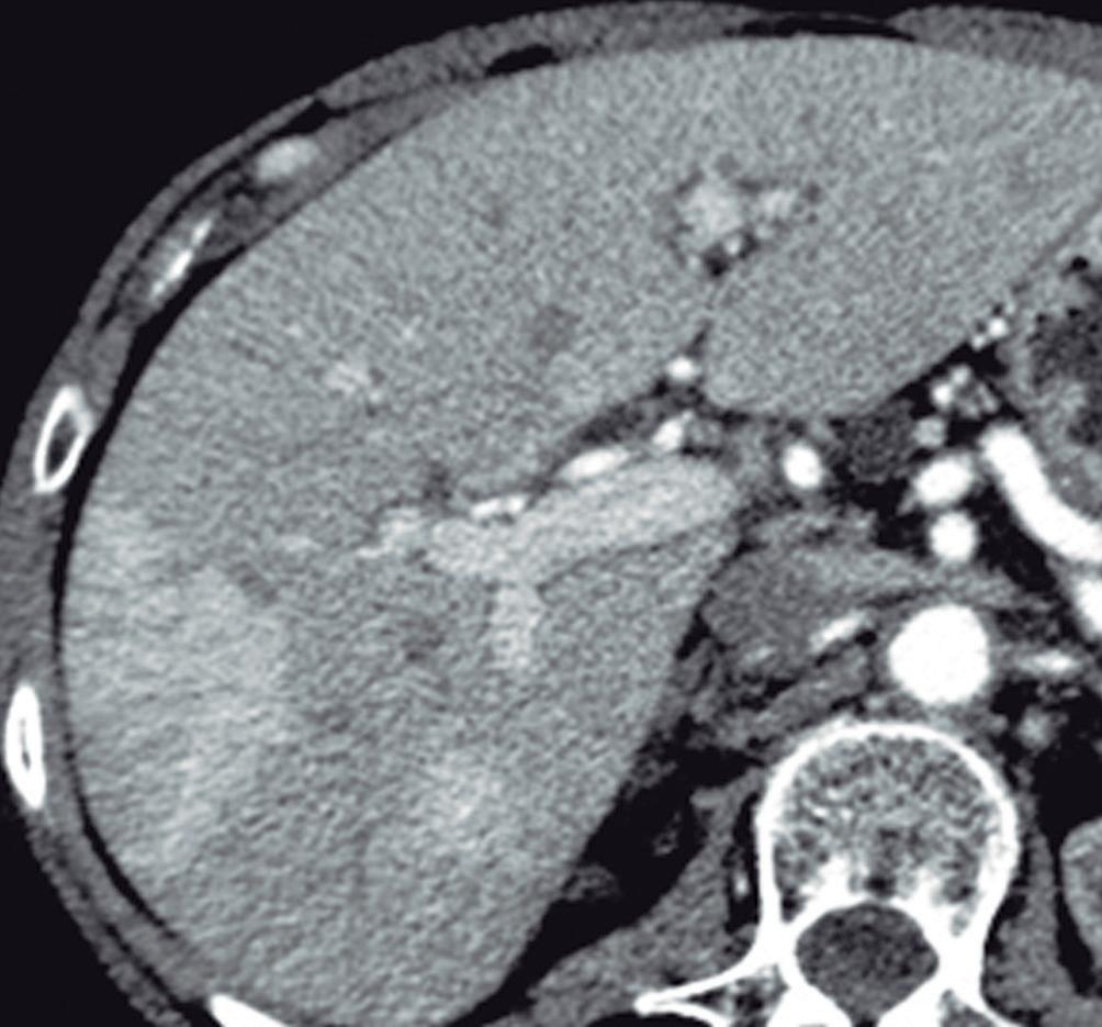
En la TC los hemangiomas son lesiones de bordes netos y frecuentemente de contornos lobulados. Al estar compuestas por vasos, su densidad es igual a la del pool sanguíneo, tanto en las imágenes sin contraste como en las diferentes fases de la evaluación poscontraste. El refuerzo es típicamente globular y progresivo, de forma centrípeta.

19 Acta Gastroenterol Latinoam 2023;53(1):18-27
Lesiones benignas localizadas en el hígado desde la mirada de las imágenes Mariano Volpacchio

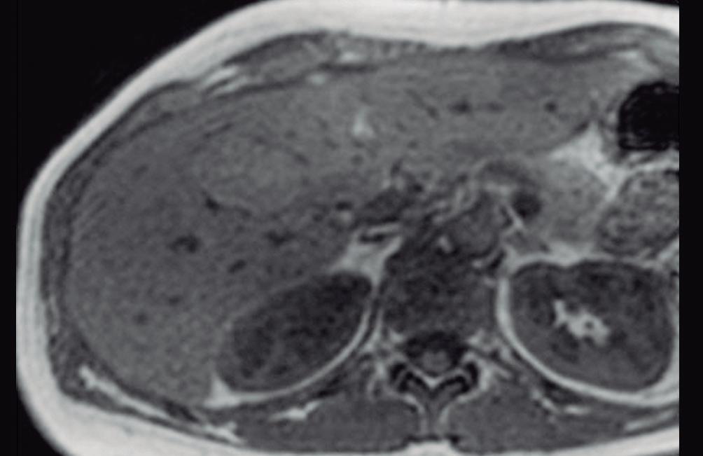
(Figura 1) En los hemangiomas de mayor tamaño el pasaje del contraste al centro de la lesión toma más tiempo e incluso no ocurre en aquellos más voluminosos.

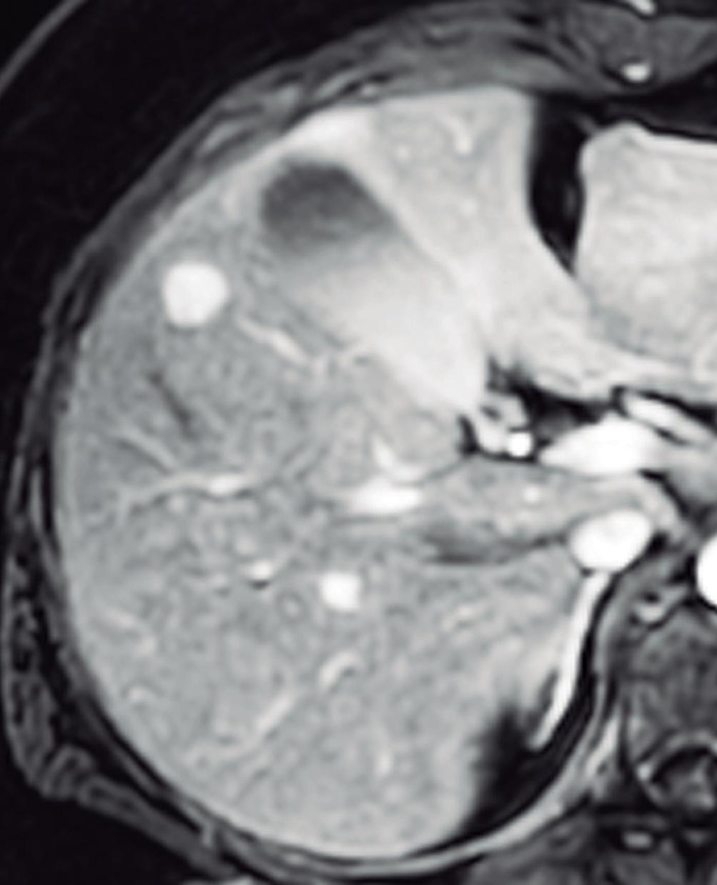
En la RM los hemangiomas son lesiones con señal hipointensa en T1 e hiperintensa muy marcada en T2. Esta última característica los diferencia de otras lesiones benignas o malignas, con excepción de los quistes, que presentan señal más elevada debido a su contenido acuoso.1 El patrón de realce poscontraste es igual al que muestra la TC. (Figura 2) En la secuencia de difusión no presentan un patrón restrictivo, si bien pueden exhibir una señal brillante en valores b altos (parámetro que pondera la difusión); esto se debe al efecto brillo T2 y no a la restricción verdadera, por lo que el mapa del coeficiente de difusión aparente (ADC, por sus siglas en in-

A

glés) muestra señal y valores altos. En estudios con CHE son hipointensos en fase hepatobiliar ya que carecen de hepatocitos. Una potencial causa de error puede ocurrir en algunos hemangiomas pequeños que presenten un refuerzo precoz importante y que en fase de equilibrio (3 minutos) pueden presentarse hipointensos (pseudolavado). De esta manera podrían ser malinterpretados como un CHC.2 No obstante, la característica señal brillante de los hemangiomas en T2 es de utilidad para una tipificación correcta.

Los hemangiomas suelen mantenerse estables pero en ocasiones su tamaño puede aumentar (por ejemplo durante el embarazo). En los hígados cirróticos suelen sufrir una involución y transformarse en pequeños nódulos fibróticos con obliteración de los vasos.

B C

A, en fase arterial; B, y en fase de equilibrio; C, que muestran una lesión de contornos lobulados y bordes netos en el lóbulo hepático derecho que presenta refuerzo globular, progresivo e isodenso con las estructuras vasculares.

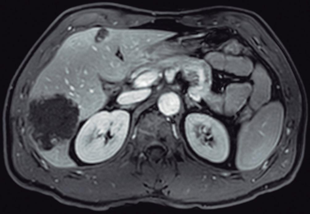
A: T1 post contraste en fase venosa portal; B, y fase de equilibrio; C: Muestran lesiones en segmentos IV y VI con una señal marcadamente hiperintensa en la secuencia T2 y

Hiperplasia nodular focal

La HNF es una lesión hamartomatosa benigna que se presenta con más frecuencia en las mujeres, por lo general jóvenes (90%), y que carece de riesgo de malignidad. Por

otra parte, el riesgo de sangrado o de rotura es extremadamente bajo. En general, es una lesión asintomática y un hallazgo incidental. En ocasiones, si la lesión es voluminosa y ejerce efecto de masa regional, puede manifestarse

20 Acta Gastroenterol Latinoam 2023;53(1):18-27
Lesiones benignas localizadas en el hígado desde la mirada de las imágenes Mariano Volpacchio Figura 1. Hemangioma en tomografía computada. Imágenes axiales de la TC sin contraste Figura 2. Hemangioma en la RM. Imágenes axiales de la RM en secuencia T2 con supresión grasa con el refuerzo similar a las estructuras vasculares de aspecto globular y progresivo en sucesivas fases. Nótese la heterogeneidad del hemangioma de mayor tamaño en segmento VI. A B C

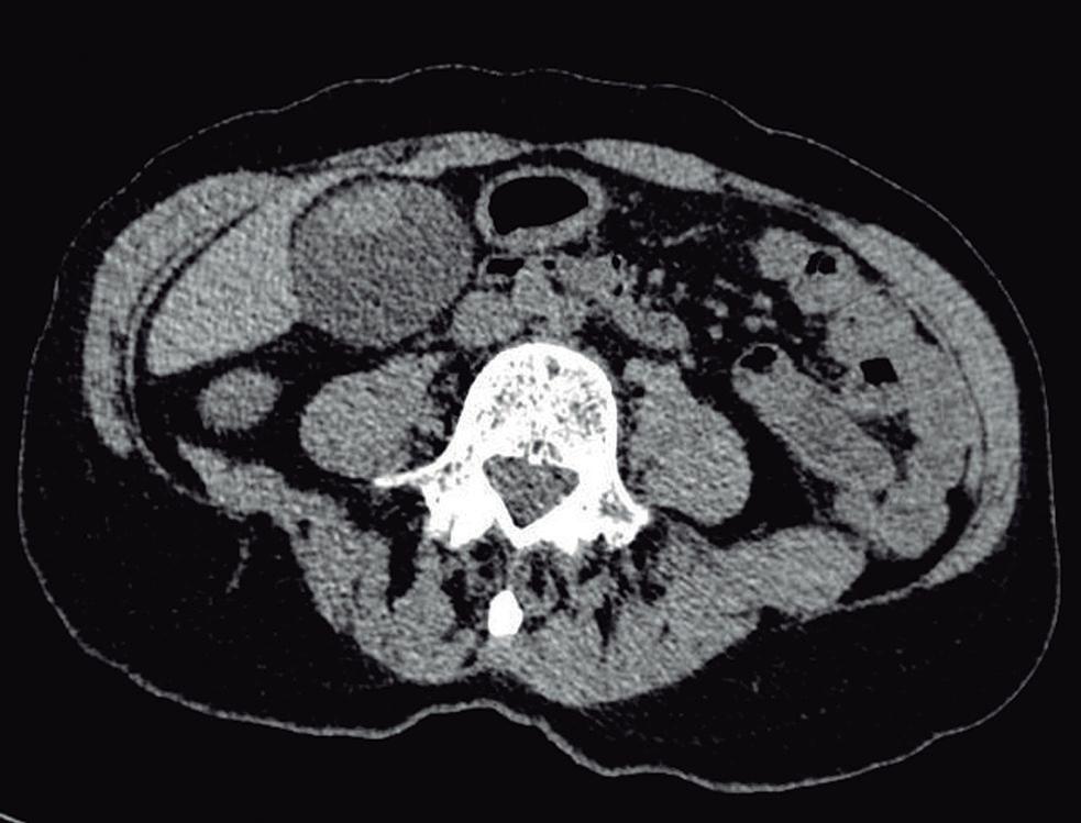
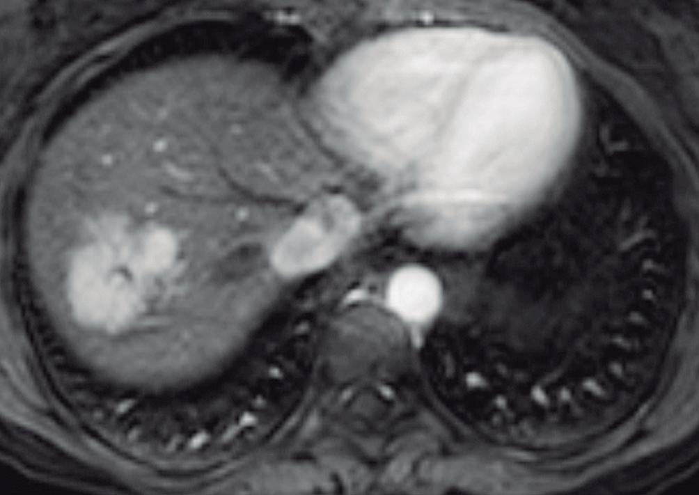
con dolor o molestias. Se piensa que es una respuesta hiperplásica a una malformación arterial preexistente y está formada por hepatocitos normales, células de Kupffer, escasos ductos biliares pequeños y arteriolas prominentes. Las lesiones similares a la HNF también suelen observarse en pacientes con trastornos vasculares tales como síndrome de Budd Chiari e hiperplasia nodular regenerativa. También se han descripto en pacientes con cáncer que han sido expuestos a derivados del platino.3 El tamaño de las lesiones varía de milímetros hasta al menos 10 cm. Típicamente, la HNF presenta una cicatriz central y es irrigada mediante una arteria desde el centro en forma centrífuga; esta una característica bastante específica ya que, tanto las lesiones hepáticas benignas como malignas, son nutridas desde la periferia mediante las ramas de la arteria hepática. Debido a su histología, la textura es similar a la del parénquima normal y por eso su detección puede ser difícil, en particular en las imágenes sin contraste endovenoso y si el nódulo es pequeño.

La HNF se manifiesta como uno o más nódulos (múltiple en aproximadamente 20%) de bordes netos y contornos lobulados. En la TCMC tiene densidad similar o apenas menor a la del parénquima adyacente. Si la cicatriz es visible (60%) en la TC es hipodensa. (Figura 3) En la RM su señal es isointensa o apenas hipo o hiperintensa en T1 e isointensa o un tanto hiperintensa en T2. (Figura 4) La cicatriz es hiperintensa en T2 (visible 80% en la RM), característica clave para diferen-

ciarla del hepatocarcinoma fibrolamelar (cuya cicatriz es hipointensa en T2 por fibrosis o por calcificación). Por otra parte, en algunos casos la diferenciación puede ser difícil ya que ambas son lesiones que ocurren en pacientes jóvenes con hígado sano y presentan similar aspecto y comportamiento poscontraste. Típicamente, la lesión realza intensamente en la fase arterial en forma homogénea y su densidad (o intensidad de señal en la RM) disminuye en fases sucesivas pero suele persistir levemente reforzada con respecto al hígado.4, 5 Los hepatocitos que forman la HNF son positivos para las proteínas transportadoras, característica que, sumada a la presencia de conductos biliares, explican el refuerzo de estas lesiones en la fase hepatobiliar en la RM con empleo de contraste hepatoespecífico. Esto permite establecer el diagnostico con un alto grado de certeza y alejar (sin descartar absolutamente) la posibilidad de un adenoma hepatocelular. El refuerzo puede ser isointenso con el parénquima, difusamente hiperintenso e hiperintenso en la periferia. (Figura 5) Dada la naturaleza benigna de la lesión, carece de riesgo de malignidad y el manejo de la HNF es conservador.8 Si el diagnóstico por imágenes es firme, no se requiere seguimiento. Si la lesión es sintomática, presenta características no típicas, es pediculada o exofítica, el caso debería ser sometido a discusión por un equipo multidisciplinario. La indicación de cirugía por la HNF es excepcional en casos sintomáticos o en raras circunstancias como sangrado o rotura.

21 Acta Gastroenterol Latinoam 2023;53(1):18-27
Lesiones benignas localizadas en el hígado desde la mirada de las imágenes Mariano Volpacchio
A
Figura 3. HNF en la tomografía computada A: Imagen en plano coronal de tomografía computada en fase arterial con reconstrucción MIP (máxima intensidad de proyección), demuestra una lesión sólida exofítica en el sector caudal del segmento IVb. Tiene bordes netos y contornos algo lobulados y exhibe hiper refuerzo en fase arterial. En el centro se aprecia una zona de menor densidad que sugiere una cicatriz. También nótese una pequeña imagen de similar aspecto ubicada en el segmento V. B: Imagen en plano coronal en la fase venosa portal que ilustra como la lesión se ha hecho isodensa con el parénquima y es imperceptible. Sólo se sospecha por la deformación del contorno que produce su crecimiento exofítico.
B

A: En el domo hepático se observa en la secuencia T2 con supresión grasa un nódulo sólido que tiene una señal levemente hiperintensa con respecto al parénquima. Tiene bordes netos. Presenta una cicatriz central de mayor intensidad de señal. B: Imagen en secuencia T1 obtenida en fase arterial que demuestra el hiperrefuerzo de la lesión con excepción de su cicatriz central. C: Imagen en fase portal en la que se puede apreciar que la lesión sólo conserva una leve hiperintensidad con respecto al parénquima. Persiste sin refuerzo la cicatriz central. D: Imagen obtenida en fase de equilibrio. La lesión sólo muestra una hiperintensidad sutil y se puede apreciar el refuerzo tardío de la cicatriz, típico de la HNFl.

Figura 5. HNF en la RM con contraste hepatoespecífico

A B C

A: Imagen en plano axial ponderada en secuencia T2 que demuestra una lesión sólida de crecimiento exofítico a partir del sector medial del segmento VI. Tiene bordes netos y una señal ligeramente heterogénea de intensidad similar a la del parénquima. Se observa una pequeña cicatriz excéntrica hiperintensa. B: Imagen en secuencia T1 en el plano axial obtenida en la fase arterial que muestra el hiper refuerzo de la lesión con excepción de la cicatriz. C: Imagen obtenida en la fase hepatobiliar luego de administrar el contraste hepatoespecífico que demuestra el refuerzo difuso de la lesión moderadamente hiperintenso sin realce de la cicatriz. Hallazgos típicos de una HNFl.

Adenoma hepatocelular

Los AHC son lesiones formadas por hepatocitos normales dispuestos en una histoarquitectura anormal y carecen de conductos biliares funcionales, sistema venoso portal y células de Kupffer. Son lesiones infrecuentes

(10 veces menos que la HNF) que suelen ocurrir en mujeres jóvenes que han recibido anticonceptivos orales (ACO) y en pacientes con obesidad, síndrome metabólico y diabetes. También ocurren en pacientes con enfermedad por depósito de Glucógeno tipo 1 (Von Gierke).

22 Acta Gastroenterol Latinoam 2023;53(1):18-27
Lesiones benignas localizadas en el hígado desde la mirada de las imágenes Mariano Volpacchio Figura 4. HNF en la RM
A B C D

En varones se asocian típicamente al empleo de esteroides anabólicos. Se han reportado otras asociaciones incluyendo poliposis adenomatosa familiar, sobrecarga de hierro asociada a trastornos hematológicos (talasemia beta, hemocromatosis), tratamiento con andrógenos para anemia aplásica y hemoglobinuria paroxística nocturna, y desórdenes metabólicos como el síndrome de Mc Cune Albright, poliquistosis ovárica y síndrome de Klinefelter.8

Debido a que conllevan riesgo variable de malignidad así como también de sangrado espontáneo y rotura con volcado peritoneal, su diagnóstico certero es fundamental para determinar el manejo ulterior. En el año 2006 se estableció una clasificación en subtipos basada en características genéticas, moleculares e histológicas. 9 Dichos subtipos incluyen: AHCI (30-40%), AHC asociado a inactivación de oncogén del factor nuclear hepatocitario α 1 (30-35%), asociado a mutación β -catenina (10-20 %) e inclasificados. Esta última representa una categoría de exclusión. Posteriormente se describieron tres variantes adicionales: la variedad AHC con activación de la vía sonic Hedge y ACH combinados que incluyen AHCI asociado a mutación beta catenina exón 3 y AHCI asociado a mutación beta catenina exón 7/8. 10

Los AHC suelen tener un aspecto similar a la HNF en las imágenes (textura similar al parénquima hepático normal e hipervascular) pero con algunas diferencias de acuerdo al subtipo que permiten la diferenciación con frecuencia, en particular, mediante la RM.

Adenoma hepatocelular inflamatorio

El AHCI es el tipo más frecuente y se asocia al uso de ACO y también en mujeres jóvenes con obesidad, diabetes y síndrome de inflamación sistémica. Histológicamente se destaca la vascularización con sinusoides dilatados, la peliosis y la presencia de inflamación. Debido a que la red vascular débil está expuesta al flujo aumentado por ramas arteriales hipertróficas tiene mayor riesgo de sangrado. Se ha establecido como valor de corte para la intervención 5 cm. Dicho valor está basado en el mayor riesgo de sangrado en las lesiones más voluminosas.

En la RM tiene tipicamente una señal hiperintensa en secuencia T2 debido a su vascularización e inflamación, (Figura 6) a menudo con un halo periférico de alta señal conocido como signo del atolón (presuntamente por sinusoides dilatados). Tras la administracion de contraste exhiben hiperrefuerzo en fase arterial con disipación posterior del contraste, es decir, haciéndose frecuentemente isointensos en fase venosa portal o de equilibrio y sin lavado (wash-out).1

Esta última es una característica clave para diferenciarlo del CHC en hígado no cirrótico. Al igual que el CHC puede presentar una cápsula más evidente en imágenes tardías.

El AHCI carece en general de transportadores OATP y de ductos biliares funcionales por lo que típicamente, no refuerza con el CHE en fase hepatobiliar.12

Debido a la asociación con dismetabolismo, el AHCI se observa frecuentemente en hígados con esteatosis, un motivo más que jerarquiza el empleo de la RM en lugar de la TC ya que el depósito graso subyacente suele enmascarar lesiones en esta última técnica.

B C

23 Acta Gastroenterol Latinoam 2023;53(1):18-27
Lesiones benignas localizadas en el hígado desde la mirada de las imágenes Mariano Volpacchio Figura 6. Adenoma hepatocelular inflamatorio A: Imagen axial ponderada en secuencia T2 que demuestra una pequeña lesión nodular moderadamente hiperintensa en el segmento V. B: Imagen ponderada en secuencia T1 en fase arterial que demuestra el hiperrefuerzo de la lesión relativamente homogéneo. C: En secuencia T1 obtenida en fase posterior se disipa el refuerzo y sólo persiste una sutil zona de mayor intensidad. A

Adenoma hepatocelular asociado a inactivación del factor hepatocitario nuclear α1 (AHC-HNF1α)

Este subtipo, el segundo en frecuencia, suele asociarse al uso de ACO y también en pacientes con adenomatosis y poliposis adenomatosa familiar. El HNF1α codifica un factor de transcripción clave para la diferenciación, y para el metabolismo y transporte de lípidos en los hepatocitos. Estas lesiones se caracterizan por su curso indolente con riesgo escaso o nulo de sangrado o de malignidad, y por la abundancia de lípidos en sus células.11 Esta última característica es la que permite en muchos casos hacer un diagnóstico confiable de este subtipo de adenoma. En la TCMC

suelen ser hipodensos debido al contenido lipídico. No obstante, la RM merced al empleo de la secuencia GRE T1 dual, permite reconocer en forma específica la presencia de lípidos intravóxel, manifestando una caída de la intensidad de señal en la imagen fuera de fase con respecto a la imagen en fase. Por otra parte, su refuerzo poscontraste es menos intenso que el de los otros subtipos de adenoma. La baja densidad en la TCMC y baja señal en imágenes T1 con supresión grasa puede llevar a la errónea interpretación de lavado en imágenes tardías y por ende, simular un CHC. Este subtipo de adenoma tampoco expresa transportadores OATP B1 y B3. (Figura 7)

A: Imagen ponderada en T2 con supresion grasa que muestra un nodulo hipointenso con respecto al parenquima con bordes netos. B: Imagen ponderada en T1 dual en fase que demuestra a la lesion con una señal levemente hiperintensa. C: Imagen ponderada en T1 dual fuera de fase muestra caida de la intensidad de señal en forma difusa de la lesion confirmando la presencia de grasa microscopica. D: Imagen ponderada en T1 poscontraste en fase arterial, la lesion presenta refuerzo mayor al parenquima pero de menor intensidad que el de otras lesiones hepatocelulares. E: Imagen ponderada en T1 poscontraste en fase venosa portal que demuestra hipointensidad difusa de la lesion. Si bien podria interpretarse este hallazgo como lavado, dicho comportamiento obedece a la supresion grasa inherente a esta secuencia y no a un lavado verdadero. F: Imagen ponderada en T1 obtenida en fase hepatobiliar que muestra a la lesion hipointensa sin captacion del contraste.

Adenoma hepatocelular asociado a mutación β-catenina

Este subtipo es más frecuente en varones y además el que conlleva mayor riesgo de malignidad.11 Se han descripto dos variantes: exón 3 y exón 7/8, la primera implica mayor riesgo. Sus características por imágenes no son específicas. Se ha descripto la presencia de zonas hiperintensas de bordes difusos en T2 y una cicatriz de bordes mal definidos. Puede verse grasa en su seno pero en escasa cantidad y de distribución focal y parcheada, en contraste con el AHC-HNF1α, que presenta abundante y extensa cantidad de lípidos. Demuestra hiperrefuerzo en fase arterial, puede tener lavado y cápsula, solapando asi sus características con las de un CHC. Este

subtipo puede expresar transportadores OATP y por lo tanto, ser isointenso o hiperintenso en la fase hepatobiliar con CHE.

Adenoma hepatocelular mixto inflamatorio-β catenina mutado

Se ha descripto un fenotipo inflamatorio en el análisis molecular hasta en un 50% de los casos de HCA con mutación β-catenina, ya sea variedades exón 3 o exón 7/8. En el análisis histológico estos nódulos combinan características de los subtipos. En las imágenes no presentan características específicas pero el componente β-catenina puede asociarse a expresión de transportadores OATP.12

24 Acta Gastroenterol Latinoam 2023;53(1):18-27
Lesiones benignas localizadas en el hígado desde la mirada de las imágenes Mariano Volpacchio Figura 7. Adenoma hepatocelular con inactivación AHC-HNF1α A B C D E F

Lesiones benignas localizadas en el hígado desde la mirada de las imágenes

Adenoma hepatocelular asociado a activación de la vía Sonic Hedgehog

Este subtipo previamente estaba incluido en la categoría no clasificado. Está asociado a la obesidad y la esteatosis, y es el que tiene mayor riesgo de sangrado. No tiene características especficas. Suele presentar lípidos abundantes y, dada la tendencia al sangrado, en secuencia T1 puede haber áreas hiperintensas y susceptibilidad magnética debido a la presencia de restos hemáticos.12

Pseudolesiones y pseudonodulos

Los estudios por imágenes a menudo demuestran hallazgos incidentales focales que conducen al diagnóstico de lesiones con el consiguiente impacto negativo en los pacientes como así también en el sistema de salud.

Dentro de esta categoría se incluyen las alteraciones transitorias de la perfusión y la esteatosis focal. En la mayoría de los casos, características como la localización, los márgenes y el comportamiento en las diferentes modalidades diagnósticas y en las imágenes poscontraste, sumados a la experiencia del intérprete del estudio, permiten tipificar el hallazgo y omitir estudios adicionales o procedimientos invasivos.

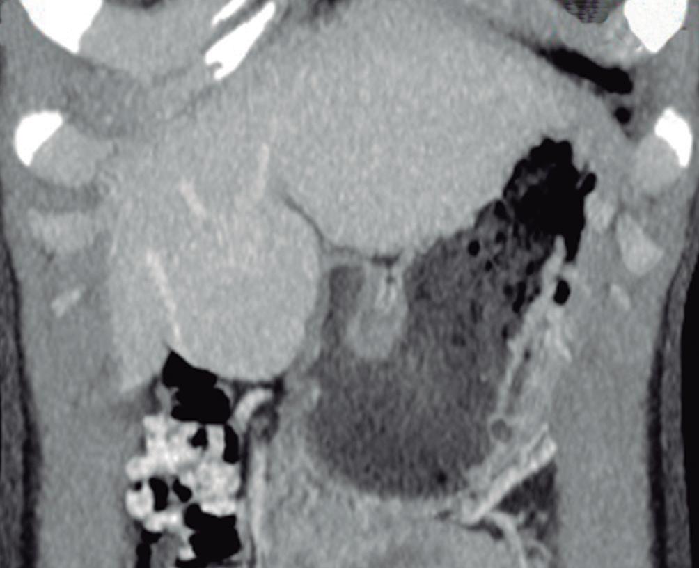
La esteatosis focal ocurre típicamente en el segmento IV del hígado, adyacente a la cisura del ligamento falciforme; carece de efecto de masa y no refuerza poscontraste. En ecografía suelen ser focos hiperecogénicos. En la TCMC son imágenes hipodensas de ubicación típica y en la RM, específicamente, demuestran caída de la señal en la secuencia T1 fuera de fase, lo que despeja cualquier duda diagnóstica. (Figura 8) En raras ocasiones, los depósitos de grasa pueden ser multifocales y plantear el diagnóstico diferencial con metástasis. En dichas situaciones el rol de la RM es clave para establecer un diagnóstico específico e inequívoco. Otra causa de sobrediagnóstico de lesión focal ocurre cuando el hígado presenta esteatosis difusa pero con zonas respetadas donde, tanto en la ecografía como en la TCMC, pueden generar confusión. En general, se aplican los mismos criterios ya que suelen ocurrir en sitios típicos como la región dorsal del segmento IV, carecen de efecto de masa, y la anatomía vascular se puede apreciar indemne en el seno de dicha área. En caso de duda diagnóstica, reiteramos que la RM es la técnica que permite dilucidar la naturaleza esteatósica del hallazgo.

B C

Las alteraciones transitorias de la perfusión se suelen dar en la fase arterial. A menudo tienen forma triangular o cuneiforme, y representan fenómenos hemodinámicos y no estructurales por lo que no tienen traducción en otras fases o en las imágenes sin contraste. (Figura 9) La mayoría de las veces carecen de importancia alguna pero, en ocasiones, pueden producirse por patologías subyacentes. Es por ello que se debe evaluar minuciosamente tanto la imagen focal como el parénquima circundante. Por ejemplo, una pequeña metástasis con obstrucción de una rama periférica portal puede llevar a un mayor flujo por parte

de la arteria hepática para compensar el déficit portal. El mismo fenómeno subyace en casos de trombosis venosa portal con hiperemia arterial secundaria asociada. En ambas situaciones, el hiperrefuerzo es un epifenómeno que puede ser la clave para la detección de una patología subyacente que puede verse con menor claridad.

En el hígado sano puede hallarse otras lesiones incidentales poco frecuentes.

La mayoría de estas no tienen características específicas para sugerir un diagnóstico y, por otra parte, su muy baja prevalencia, hace que sean habitualmente reportadas

25 Acta Gastroenterol Latinoam 2023;53(1):18-27
Mariano Volpacchio Figura 8. Esteatosis focal en la RM A: Imagen T1 poscontraste que demuestra una zona hipointensa en el sector posterior del segmento IV. Tiene borde geográfico y no se aprecia efecto de masa. B: En la imagen correspondiente a la secuencia T1 dual en fase hay un sutil aumento de la señal. C: En la secuencia T1 dual fuera de fase se aprecia disminución de la señal y confirma la presencia de grasa microscópica. La típica localización sumada a la ausencia de efecto de masa conduce al diagnóstico de esteatosis focal. A

como lesiones de naturaleza indeterminada. Una mención aparte merece el caso de los angiomiolipomas. Estas son lesiones hamartomatosas muy poco frecuentes que pueden observarse en forma esporádica o en pacientes con esclerosis tuberosa. En la gran mayoría de los casos, las imágenes pueden establecer un diagnóstico certero en virtud de la presencia de grasa macroscópica detectada por las secuencias T1 y T2 con supresión grasa.

siguen progresando, cabe mencionar que aún existen limitaciones en parte dadas por la superposición de características. Por ejemplo, las HNF tienen características muy típicas por TCMC y por RM pero sin embargo, existen manifestaciones inusuales como la presencia de grasa (simulando un AHC o CHC) o una cicatriz hipointensa en T2 (simulando un CHC fibrolamelar). La división binaria entre refuerzo con CHE en fase hepatobiliar, positivo en HNF y negativo en AHC, tiene sus potenciales falsos negativos y positivos. En particular, la mutación β catenina es un marcador potencial de expresión de polipéptidos transportadores. Sin embargo, el análisis multiparamétrico de las imágenes sumado al contexto clínico (varón joven con consumo de anabólicos esteroides, por ejemplo) nos permite transformar esa limitación en la especificidad en un potencial biomarcador de subtipo histológico y fenotipo molecular de mayor riesgo; de esa manera, tendría un impacto en el algoritmo de la toma de decisiones. La evaluación de todas las características de la lesión es de suma importancia. Por ejemplo, si bien otros subtipos de AHC pueden tener grasa, la magnitud y la extensión es mucho mayor en los AHC-HNF1α que en el inflamatorio o en el asociado a β catenina. Actualmente la RM es la técnica de imágenes favorita para evaluar las lesiones hepáticas en virtud de su información multiparamétrica. El empleo de contraste hepatoespecífico tiene un rol en la caracterización cualitativa y potencialmente cuantitativa de algunas lesiones.

Imagen axial de la TCMC obtenida en fase arterial que muestra una zona de morfología cuneiforme en el lóbulo derecho caracterizado por bordes rectos e hiperemia. Hay otra imagen similar en una ubicación posteromedial en el segmento VI. Carecen de efecto de masa, no son visibles en otras fases y obedecen a alteraciones transitorias de la perfusión. Antes la duda diagnóstica podría ser de utilidad completar con una RM.

Consideraciones finales

El hallazgo de una o más imágenes focales requiere un análisis sistemático de las imágenes. Este consiste en la tipificación de las características que incluyen: carácter único o múltiple, localización, textura, homogeneidad, bordes y contornos, presencia, magnitud, tipo y cronología del refuerzo, presencia o ausencia de cápsula, presencia de grasa o calcio, presencia y señal de la cicatriz y, finalmente, hallazgos asociados como por ejemplo esteatosis hepática, adenopatías en el hilio, etc. La información surgida de dicho análisis debe ser enriquecida por los datos clínicos, demográficos, farmacológicos, etc. en el contexto de un abordaje multidisciplinario.

Si bien los avances en la tipificación de las diferentes lesiones que pueden afectar el hígado son notables y

Propiedad intelectual. El autor declara que los datos y las figuras presentes en el manuscrito son originales y se realizaron en su institución perteneciente.

Financiamiento. Los autores declaran que no hubo fuentes de financiación externas.

Conflicto de interés. Los autores declaran no tener conflictos de interés en relación con este artículo.

Aviso de derechos de autor © 2023 Acta Gastroenterológica Latinoamericana. Este es un artículo de acceso abierto publicado bajo los términos de la Licencia Creative Commons Attribution (CC BY-NC-SA 4.0), la cual permite el uso, la distribución y la reproducción de forma no comercial, siempre que se cite al autor y la fuente original.

26 Acta Gastroenterol Latinoam 2023;53(1):18-27
Lesiones benignas localizadas en el hígado desde la mirada de las imágenes Mariano Volpacchio Figura 9. Alteración transitoria de la perfusión sin lesión subyacente en tomografía computada

Lesiones benignas localizadas en el hígado desde la mirada de las imágenes

Cite este artículo como: Volpacchio M. Lesiones Benignas Localizadas en el Hígado desde la Mirada de las Imágenes. Acta Gastroenterol Latinoam. 2023;53(1):18-27 https:// doi.org/10.52787/agl.v53i1.308

Referencias

1. Stark DD, Felder RC, Wittenberg J, Saini S, Butch RJ, White ME, et al. Magnetic resonance imaging of cavernous hemangioma of the liver: tissue specific characterization. AJR Am J Roentgenol 1985;145:213-222.

2. Doo KW, Lee CH, Choi JW, Lee J, Kim KA, Park CM. ‘‘Pseudo washout” sign in high-flow hepatic hemangioma on gadoxetic acid contrast-enhanced MRI mimicking hypervascular tumor. AJR Am J Roentgenol 2009;193:W490-W496.

3. Jordan D. LeGout, Candice W. Bolan, Andrew W. Bowman, Melanie P. Caserta, Frank K. Chen, Kelly L. Cox, Rupan Sanyal, Beau B. Toskich, Jason T. Lewis, and Lauren F. Alexander. Focal nodular hyperplasia and focal nodular hyperplasia-like lesions. RadioGraphics 2022;42:4,1043-1061.

4. Brancatelli G, Federle MP, Grazioli L, Blachar A, Peterson MS, Thaete L. Focal nodular hyperplasia: CT findings with emphasis on multiphasic helical CT in 78 patients. Radiology 2001;219:61-68.

5. Vilgrain V, Flejou JF, Arrive L, Belghiti J, Najmark D, Menu Y, et al. Focal nodular hyperplasia of the liver: MR imaging and pathologic correlation in 37 patients. Radiology 1992;184:699-703.

6. Grieser C, Steffen IG, Seehofer D, Kramme IB, Uktolseya R, ScheurigMuenkler C, et al. Histopathologically confirmed focal nodular hyperplasia of the liver: gadoxetic acid-enhanced MRI characteristics. Magn Reson Imaging 2013;31:755-760.

7. Suh CH, Kim KW, Kim GY, Shin YM, Kim PN, Park SH. The diagnostic value of Gd-EOB-DTPA-MRI for the diagnosis of focal nodular hyperplasia: a systematic review and meta-analysis. Eur Radiol 2015;25:950-960.

Mariano Volpacchio

8. EASL Clinical Practice Guidelines on the management of benign liver tumours. Journal of Hepatology, Volume 65, Issue2,386-398.

9. Zucman-Rossi J, Jeannot E, Nhieu JT, Scoazec JY, Guettier C, Rebouissou S, et al. Genotype-phenotype correlation in hepatocellular adenoma: new classification and relationship with HCC. Hepatology 2006;43:515-524.

10. Nault JC, Couchy G, Balabaud C, Morcrette G, Caruso S, Blanc JF, et al. Molecular Classification of Hepatocellular Adenoma Associates With Risk Factors, Bleeding, and Malignant Transformation. Gastroenterology 2016.

11. Aalten SMv, Thomeer MGJ, Terkivatan T, et al. Hepatocellular adenomas: Correlation of MR imaging findings with pathologic subtype classification. Radiology 2011;261:172-181.

12. Zulfiqar M, Sirlin CB, Yoneda N, et al. Hepatocellular adenomas: understanding the pathomolecular lexicon, MRI features, terminology, and pitfalls to inform a standardized approach. J Magn Reson Imaging 2020;51:1630-1640.

13. Glockner JF, Lee CU, Mounajjed T. Inflammatory hepatic adenomas characterization with hepatobiliary MRI contraste atents. Magn Reson imaging 2018;47:103-110.

14. Zulfiqar M, Sirlin CB, Yoneda N, et al. Hepatocellular adenomas: understanding the pathomolecular lexicon, MRI features, terminology, and pitfalls to inform a standardized approach. J Magn Reson Imaging 2020;51:1630-1640.

15. Kengo Yoshimitsu, Hiroshi Honda, Toshiro Kuroiwa, Hiroyuki Irie, Hitoshi Aibe, Kenji Shinozaki, and Kouji Masuda. Unusual Hemodynamics and Pseudolesions of the Noncirrhotic Liver at CT. RadioGraphics 2001,21:suppl_1,S81-S96

16. Wynnson W. Tom, Benjamin M. Yeh, Jonathan C. Cheng, Aliya Qayyum, Bonnie Joe, and Fergus V. Coakley. Hepatic Pseudotumor Due To Nodular Fatty Sparing: The Diagnostic Role of Opposed-Phase MRI.A merican Journal of Roentgenology,2004;183:3,721-724.

27 Acta Gastroenterol Latinoam 2023;53(1):18-27

Hepatitis autoinmune: conceptos actuales

Mónica P. Marino

Sección Hepatología.

Hospital C. Bonorino Udaondo. Ciudad Autónoma de Buenos Aires, Argentina.

Acta Gastroenterol Latinoam 2023;53(1):28-37

Recibido: 09/03/2023 / Aceptado: 28/03/2023 / Publicado online: 30/03/2023 / https://doi.org/10.52787/agl.v53i1.309

Resumen

La hepatitis autoinmune es una patología poco frecuente que se caracteriza por presentar alteraciones bioquímicas e histológicas. Se conocen 2 subtipos: el tipo I afecta a niños y adultos y el tipo II afecta casi exclusivamente a los niños. Hasta el momento no existen criterios diagnósticos específicos y es considerada como una patología de exclusión, aunque existen ciertas alteraciones en el laboratorio y la histología relacionadas con esta entidad. Puede cursar en forma asintomática o sintomática y el tratamiento de elección es la inmunosupresión. El uso de métodos no invasivos como la elastografía puede ser útil en el monitoreo del seguimiento, tanto para evaluar el tratamiento como para prevenir complicaciones. En su evolución puede presentar fibrosis hepática avanzada, cirrosis, requerimiento de trasplante hepático o muerte por insuficiencia hepática. El objetivo de esta revisión es presentar las últimas publicaciones relacionadas a la hepatitis autoinmune.

Palabras claves. Hepatitis autoinmune, hepatitis de interfase, emperipolesis.

Autoimmune Hepatitis: Up-to-Date Concepts

Summary

Autoimmune hepatitis is a rare pathology characterized by biochemical and histological alterations. Two subtypes are known: type I affects children and adults, and type II affects almost exclusively children. So far there are no specific diagnostic criteria and it is considered a pathology of exclusion, although there are certain laboratory and histological alterations related to this entity. It can be asymptomatic or symptomatic, and the treatment of choice is immunosuppression. The use of non-invasive methods such as elastography can be useful in follow-up surveillance, both to evaluate treatment and to prevent complications. In its evolution it can present advanced hepatic fibrosis, cirrhosis, requirement of liver transplantation and death due to hepatic insuffieciency. The aim of this review is to present the latest evidence related to autoimmune hepatitis.

Keywords. Autoimmune hepatitis, interphase hepatitis, emperipolesis.

Abreviaturas

HAI: Hepatitis autoinmune.

IHA: Insuficiencia hepática aguda.

HAI I: Hepatitis autoinmune tipo I.

HAI II: Hepatitis autoinmune tipo II.

ANA: Anticuerpos antinucleares.

ASMA: Anticuerpos anti-músculo liso.

LKM1: Anticuerpos anti-microsomales tipo 1.

LC1: Anticuerpo anti-citosol hepático tipo 1.

sn HAI: Hepatitis autoinmune seronegativa.

TH: Trasplante hepático.

Correspondencia: Mónica P. Marino

Correo electrónico: monicap_marino@yahoo.com.ar

HLA: Antígenos leucocitarios humanos.

AST: Aspartato aminotransferasa.

28 Acta Gastroenterol Latinoam 2023;53(1):28-37 ♦REVISIÓN

ALT: Alanina aminotransferasa.

pANCA: Anticuerpo anticitoplasma de neutrófilo.

anti-ASGPR: Anticuerpo anti-rreceptor de asialoglicoproteína.

LC1: Anticuerpo citosólico antihepático 1.

SLA/LP: Antígeno/anticuerpo hígado-páncreas.

LKM-3: Anticuerpo microsomal-anti-hígado-riñón 3.

UGT: Anti-UDP-glucuronosiltransferasa.

CEP: Colangitis esclerosante primaria.

NAFLD: Hígado graso no alcohólico.

TE: Elastografía transitoria.

HTP: Hipertensión portal.

LSM: Liver stiffness measure.

CAP: Atenuación controlada.

AZA: Azatioprina.

TPMT: Tiopurina metil trasferasa.

MMF: Micofenolato mofetil.

CsA: Ciclosporina.

TAC: Tacrolimus.

ULN: Límite superior normal (Por upper limit of normal).

Introducción

La HAI es una enfermedad hepática rara con múltiples formas de presentación. Se caracteriza por la presencia de autoanticuerpos, hipergammaglobulinemia y anomalías en la biopsia hepática. No tiene características patognomónicas, la patogénesis es en parte desconocida, y permanece como un diagnóstico de exclusión.

Los pacientes pueden ser asintomáticos, estar crónicamente enfermos o presentar IHA.

Se conocen 2 entidades: la HAI I y la HAI II. La HAI I es mucho más común y afecta tanto a niños como a adultos, mientras que la HAI II es principalmente una enfermedad pediátrica. La HAI I se caracteriza por presentar ANA y/o ASMA positivos, mientras que HAI II se caracteriza por tener LKM1 y/o anti-hígado-riñón positivos y LC1. Además, hasta el 20% de los casos de HAI son negativos para los autoanticuerpos ANA, ASMA y LKM1, a pesar de la presencia de otros rasgos característicos de la HAI seronegativa (sn HAI).1-3

La progresión a fibrosis hepática avanzada, cirrosis, muerte por insuficiencia hepática o trasplante hepático (TH) son resultados posibles. El tratamiento con agentes inmunosupresores ha salvado vidas, pero los regímenes de tratamiento pueden estar, a largo plazo, asociados con efectos secundarios graves y de eficacia variable.4

El objetivo de esta revisión es presentar las últimas publicaciones relacionadas con la hepatitis autoinmune.

Epidemiología y diagnóstico

La HAI afecta a todas las edades y razas, con picos

de edad entre los 10 y los 30 años y entre los 40 y los 60 años; se subdivide en HAI I y HAI II. El predominio femenino ocurre en adultos (71%-95% mujeres) y niños (60%-76% niñas).

Al igual que con otras enfermedades autoinmunes, las asociaciones genéticas primarias en la HAI involucran loci del complejo mayor de histocompatibilidad. Las asociaciones de HLA se agrupan dentro del haplotipo ancestral 8.1 conservado, que define los alelos portados por la mayoría de los caucásicos y resulta del desequilibrio de ligamiento dentro de los loci HLAde clase I, II y III: HLA-A1, Cw7, B8, TNFAB*a2b3, TNFN*S, C2*C, Bf*s, C4A*Q0, C4B*1, DRB1*03:01, DRB1*04:01, DRB1*13:01, DRB3*01:01, DQA1*05:01, DQB1*02:01.4

El diagnóstico de HAI se basa en anomalías histológicas (hepatitis de interfase), hallazgos clínicos y de laboratorio característicos (niveles elevados de AST y ALT séricas y aumento de la concentración sérica de IgG) y la presencia de uno o más autoanticuerpos característicos.4

Revisión de laboratorio

El método de referencia para evaluar los autoanticuerpos relacionados con el hígado sigue siendo la inmunofluorescencia indirecta en tejido triple de roedores, es decir, hígado, riñón y estómago.

La dilución de suero inicial convencional es 1:10. En adultos, el punto de corte de positividad es de 1:40, mientras que en niños y adolescentes se consideran positivos títulos de 1:20 para ANA y ASMA y de 1:10 para antiLKM1 y anti-LC1, ya que los autoanticuerpos son raros en sujetos sanos a edades tempranas.5

Los autoanticuerpos típicos utilizados para el diagnóstico serológico de la HAI son el ANA, el ASMA, anti-actina y el LKM-1. Los anticuerpos atípicos que pueden ser de utilidad diagnóstica en los casos de HAI con anticuerpos típicos negativos, y son pANCA, ASGPR, LC1, anticuerpo anti-hepático soluble, SLA/LP, LKM-3 y UGT.6

Históricamente, el ANA es el primer autoanticuerpo asociado a HAI.

El ANA, junto con el ASMA, definen la HAI I, siendo positivo en aproximadamente dos tercios de los pacientes, y asociado con el ASMA en la mitad de los casos.

Una variedad de enfermedades autoinmunes sistémicas y específicas de órganos extra-hepáticos también se asocian típicamente con la positividad de ANA, como el lupus eritematoso, la tiroiditis de Hashimoto, la esclerosis sistémica o la enfermedad celíaca, que pueden coexistir con la HAI. Además, los ANA pueden ser positivos incluso en individuos sanos, y la frecuencia y los títulos aumentan con la edad.5

Los ANA también pueden presentarse como un hallazgo serológico aislado en la colangitis esclerosante pri-

29 Acta Gastroenterol Latinoam 2023;53(1):28-37
Hepatitis autoinmune: conceptos actuales Mónica P. Marino

maria (CEP; 29%), la hepatitis C crónica (26%), la hepatitis B crónica (32%), la enfermedad del hígado graso no alcohólico (NAFLD; 34%) y el alcoholismo crónico. Por otro lado, el ASMA puede encontrarse como un hallazgo serológico aislado en CEP (6%), hepatitis C crónica (6%) y enfermedad hepática crónica asociada con el alcohol (4%). El ANA y el ASMA son concurrentes en <10% de las enfermedades hepáticas fuera de la HAI, y la precisión diagnóstica de la HAI mejora del ~58% al 74% si se detectan dos autoanticuerpos en la presentación.4

El anti-LKM1 es el sello serológico de HAI II, que es mucho más raro en HAI I, representando el 20-30% de los casos pediátricos y hasta el 10% de los casos de HAI en adultos. Los ANA, ASMA y AMA están ausentes en pacientes con HAI II. El anti-LC1, junto con el anti-LKM1, define la HAI II. En alrededor de dos tercios de los casos, los dos autoanticuerpos coexisten, pero en algunos pacientes, el anti-LC1 es el único marcador serológico, por lo que es esencial investigarlo.

El cANCA es raro en HAI I y en HAI II, y el pANCA está prácticamente ausente.

Si bien los autoanticuerpos son una herramienta esencial en el rompecabezas diagnóstico de la HAI, no son diagnósticos por sí solos. Por lo tanto es obligatorio tener un conocimiento esencial de sus metodologías de prueba y significado clínico para usarlos correctamente en la práctica clínica.

Las presentaciones agudas y graves ocurren en menos del 7% de los casos. Sin embargo, las presentaciones agudas también pueden presentarse de manera encubierta, con niveles normales de gammaglobulina sérica, puntajes de diagnóstico internacional bajos previos al tratamiento, pero con histopatología que demuestra necrosis centrolobulillar en la zona 3 compatible con sn HAI.6

Descartar otros virus relacionados, inducido por drogas, alcohol, hereditario, metabólico, y enfermedad colestásica

An cuerpos Típicos: ANA, an SMA (ac n), an LKM-1 nega vos

Score IAIHG pre Tratamiento?

>9

Defini vo o Probable No Diagnós co

¿Apoyo clínico al diagnós co?

Si No

Hepa s Autoinmune Tipo I Hepa s Autoinmune Tipo II

Hepatitis Autoinmune Seronegativa

La sn HAI es rara, ya que en más del 95% de los casos hay presencia de ANA y/o ASMA, siempre que los autoanticuerpos se analicen de acuerdo con los puntos de corte recomendados.5

Se necesitan mas test

Presencia de an cuerpos a pico: pAnca, an SLA-LP

Si No

Presencia de an cuerpos a picos: an -ASGPR, an -LC1, an LKM3

posi vo

Simil sp HAI nega vo

Simil sn HAI

Prueba de 3 meses de tratamiento con cor costeroides

30 Acta Gastroenterol Latinoam 2023;53(1):28-37
Hepatitis autoinmune: conceptos actuales Mónica P. Marino
Figura 1. Autoanticuerpos Asociados a las Hepatitis Autoinmunes Tipo I y Tipo II
ANA LKM ASMA LC1 SLA
Figura 2. Algoritmo Diagnóstico para las Hepatitis Autoinmunes Seronegativas

Las presentaciones crónicas varían ampliamente en hasta un (1% a 34% de los casos). Por otra parte, la sn HAI se ha asociado con otras enfermedades autoinmunes cuyas manifestaciones también pueden estar presentes.

Otros marcadores séricos no invasivos

Efe y col. informaron que los niveles séricos de vitamina D estaban asociados con la fibrosis hepática y hepatitis de interfase en la HAI y los no respondedores a terapias inmunosupresoras tenían niveles basales de vitamina D en suero significativamente más bajos en comparación con los que respondieron.

Un estudio reciente mostró que los pacientes con HAI y deficiencia severa de vitamina D (< 25 nmol/L) tenían más probabilidad de no responder al tratamiento y mayor mortalidad relacionada con el hígado.

También se ha investigado la ferritina como un biomarcador predictivo de la respuesta al tratamiento en pacientes con HAI. Tauberty col., informaron que un nivel de ferritina inicial > 2,09 × ULN y niveles de inmunoglobulina más bajos (< 1,89 × ULN) se asociaron con una remisión bioquímica completa.7

Histología de la HAI

La histología hepática representa un componente central del puntaje utilizado para el diagnóstico, por lo que la biopsia hepática se considera obligatoria en el estudio de la HAI en la mayoría de las guías publicadas por sociedades científicas internacionales. No existe un biomarcador diagnóstico para la HAI y la histopatología es clave en la designación del diagnóstico de HAI como definitivo, probable o improbable. Sin embargo, los criterios histológicos para hacer un diagnóstico de HAI se basan en gran medida en estudios antiguos y no han sido validados prospectivamente ni acordados por consenso internacional. 8

Se han descrito varios rasgos histológicos como característicos de la HAI, pero ninguno es patognomónico. Los sistemas de puntuación propuestos por el International AIH Group (IAIHG) para establecer el diagnóstico de HAI incorporan las rosetas hepatocelulares (pequeño grupo de hepatocitos dispuestos alrededor de una luz central también pequeña) y la emperipolesis (la presencia de un linfocito intacto dentro del citoplasma de un hepatocito) como rasgos típicos que apoyan el diagnóstico de HAI.

En la publicación del IAIHG de 1999, la presencia de rosetas hepatocelulares era una característica histológica

que contribuía a la puntuación diagnóstica de probabilidad de HAI. El sistema de puntuación simplificado del IAIHG de 2008 categoriza la histología hepática como típica de la HAI cuando se interrelacionan hepatitis, rosetas y emperipolesis.

Sin embargo, estudios más recientes han sugerido que ambas características reflejan más bien una lesión y regeneración de las células hepáticas en el contexto de un daño celular grave, y carecen de especificidad diagnóstica para la HAI.8

La hepatitis de interfase es el sello histológico de la HAI, acompañada de infiltración de células plasmáticas en el 66% (definidos como focos de ≥ 5 células plasmáticas) y hepatitis lobulillar en el 47% de los casos. También se encuentra necrosis centrolobulillar en el 29% de los casos; esto ocurre con una frecuencia similar en pacientes con y sin cirrosis. La emperipolesis está presente en un 65% de los pacientes con HAI; y las rosetas hepatocelulares lo están en un 33% de los casos. 4

La emperipolesis y la formación de rosetas son predictores histológicos superiores de HAI. Además, la colangitis linfocítica de moderada a grave no excluye el diagnóstico de HAI.9-10

La cirrosis está presente en 28%-33% de los adultos en el momento de la presentación, especialmente en los ancianos, así como en el 38% de los niños. La cirrosis se desarrolla en el 40% de los adultos con necrosis multilobulillar o necrosis en puente.4

Las características histológicas de la NAFLD están presentes en el 17% al 30% de los pacientes adultos con HAI, y esa concurrencia podría influir en la respuesta al tratamiento.4

Clínica de la HAI

La HAI puede presentarse de forma asintomática en 25% a 34% de los casos. Los síntomas suelen manifestarse como fatiga, malestar general, artralgias o amenorrea. La fatigabilidad fácil es la queja principal en el 85% de los pacientes; puede haber ictericia. La presencia de prurito o hiperpigmentación es inconsistente con el diagnóstico, y la pérdida de peso sugiere una complicación grave (malignidad).

La HAI se presenta con un inicio agudo (duración < 30 días) en 25% a 75% de los pacientes. La HAI asociada con la encefalopatía hepática ocurre en 3% a 6% de los pacientes norteamericanos y europeos.

31 Acta Gastroenterol Latinoam 2023;53(1):28-37
Hepatitis autoinmune: conceptos actuales Mónica P. Marino

Hepatitis autoinmune: conceptos actuales

Tabla 1. Características de HAI Tipo I y Tipo II

Características HAI Tipo I HAI Tipo II

Frecuencia USA adultos, 96%61

Edad de presentación Prepuberal y adultos

Modo de presentación

Síntomas crónicos comunes

Ascitis o sangrado GI raro

US niños, 9%-12% 14

UK niños, 38% 13

Usualmente menor de 14 años

Comienzo agudo (~40%)

Falla hepática aguda posible

Asintomática en 25%-34% Recaída frecuente Aguda en 25%-75%

Aguda severa en 2%-6%

Laboratorio Hipergammaglobulinemia

Autoanticuerpos

Enfermedades autoinmunes concurrentes

ANA

SMA, anti-actin

SLA

Tiroiditis autoinmune

Enfermedad reumática

IBD

Autoinmune overlap con CEP (ASC en chicos) Común en niños

Atípica pANCA-positivo

IgA niveles bajos

Anti-LKM1

Anti-LC1, Anti-LKM3

Tiroiditis autoinmune

Diabetes mellitus

Vitíligo

Raro

Atípica pANCA-negativo

Overlap con CBP

Cirrosis como presentación (especial anciano)

Visto en adultos (no niños)

Adultos, 28%-33%

Niños, ≤ 33%

Remisión Posible

El uso de la elastografía (Fibroscan) en HAI

Los biomarcadores radiográficos para la HAI son limitados, pero existe alguna evidencia en torno a la TE. La TE es una herramienta establecida para evaluar la fibrosis hepática de manera no invasiva en varias enfermedades hepáticas, pero los datos en el caso de las HAI son limitados. Un estudio de Hartly y col. reveló que la TE tenía una gran utilidad para detectar la fibrosis grave después de 6 meses de terapia inmunosupresora.7, 11

Este estudio actual validó por primera vez la técnica en una gran cohorte de pacientes con HAI, demostrando que es una herramienta confiable para detectar fibrosis

No reportado

Raro

Rara, usualmente necesita mucho tiempo de inmunosupresión

hepática en la HAI tratada. Para el seguimiento de la progresión de la enfermedad en pacientes bajo tratamiento, la validación de la rigidez hepática como marcador no invasivo de fibrosis hepática mejorará en gran medida la atención al paciente con HAI.11

En la historia natural de la HTP en pacientes con cirrosis, un evento importante es el desarrollo de várices esofágicas con el riesgo subsiguiente de sangrado por várices. El Sexto Consenso de Baveno sobre Hipertensión Portal (Baveno VI) recomendaba el uso de herramientas no invasivas para descartar la presencia de varices con alto riesgo de sangrado (varices que necesitan tratamien-

32 Acta Gastroenterol Latinoam 2023;53(1):28-37
Mónica P. Marino

to [VNT]). Según Baveno VI, los pacientes con enfermedad hepática crónica avanzada compensada con un recuento de plaquetas normal (> 150.000) y un LSM < 20 kPa no necesitan vigilancia endoscópica porque el riesgo previsto de tener VNT es inferior al 5% (definido como umbral de riesgo “seguro” por el consenso de Baveno VI). La implementación de esta recomendación en la práctica clínica podría ahorrar entre un 20 % y un 40 % de las endoscopias de vigilancia. Los criterios ampliados de Baveno VI (plaquetas > 110.000 y LSM < 25 kPa) también demostraron ser seguros, ahorrando un mayor número de endoscopias que los criterios originales.5

Durante las últimas décadas se descubrió que varios marcadores no invasivos tienen una alta precisión para detectar la fibrosis hepática y la progresión de la enfermedad.

Otro método de imágenes en tiempo real basado en ultrasonido con ventajas para evaluar la enfermedad hepática es el 2D-SWE, mediante el uso de la técnica de imágenes de corte supersónico.12

Al analizar una gran cohorte de pacientes con cirrosis relacionada con HAI, se encontró que una proporción significativa de pacientes con cirrosis (incluidos aquellos con evidencia histológica de cirrosis al momento del diagnóstico de HAI) tenían LSM bajo. De hecho, estas cifras estaban por debajo de los puntos de corte recomendados para el diagnóstico de cirrosis en general (14 kPa), y específicamente para el diagnóstico de cirrosis relacionada con HAI (12,5 kPa y 16 kPa).13 Más importante aún, hasta el 52% de los pacientes con evidencia de HTP (descompensación de enfermedad hepática, várices esofágicas o gástricas, o presencia de colaterales) tenían un LSM por debajo de esos límites. No obstante, las herramientas no invasivas (Baveno VI, criterios ampliados de Baveno VI y modelo continuo ANTICIPATE-PBC) para clasificar a los pacientes para endoscopia son útiles en pacientes con cirrosis relacionada con HAI.13

Por lo tanto, las recomendaciones de las Guías de práctica clínica de la EASL sobre pruebas no invasivas determinan que, la medición de LSM por TE puede usarse en pacientes con HAI tratada para monitorear el curso de la enfermedad, junto con transaminasas e IgG, y para estadificar la fibrosis hepática después de al menos 6 meses de terapia inmunosupresora, evaluando de ese modo la gravedad y el pronóstico de la enfermedad hepática.14

Además, dada la mayor posibilidad de esteatosis hepática en pacientes con HAI por la administración a largo plazo de fármacos inmunosupresores como los glucocorticoides, los métodos no invasivos puede ser particular-

menteadecuados para monitorear los cambios histológicos hepáticos pre y posterapéuticos.

En un estudio que evalúa el parámetro de CAP en la esteatosis hepática en pacientes con enfermedades hepáticas autoinmunes, se confirmó que el CAP se correlacionó bien con la esteatosis hepática en la histología. Se establecieron valores de corte con alta precisión diagnóstica para cada grado de esteatosis en pacientes con enfermedad hepática de etiología mixta, que resultaron similares a los propuestos previamente en los datos de los pacientes individuales. El rendimiento del CAP para el diagnóstico del grado de esteatosis hepática en pacientes con HAI se mantuvo estable, lo que respalda que puede usarse como un método de diagnóstico no invasivo y confiable para monitorear la esteatosis y el curso de la enfermedad autoinmune.8

La resonancia nuclear magnética para la evaluación de la fibrosis hepática tiene una sensibilidad de 90%, una especificidad de 100%, un valor predictivo positivo de 100% y un valor predictivo negativo de 90%.

Tratamiento

Primera Línea de Tratamiento

Prednisona o Prednisolona con y sin Azatioprina

Para el tratamiento se utiliza prednisona sola, 40-60 mg al día en adultos y 1-2 mg/kg al día en niños (dosis máxima 40-60 mg al día), o una dosis menor de prednisona, 20-40 mg al día, en combinación con AZA (adultos dosificación: 50 a 150 mg al día; o en Europa, 1 a 2 mg/kg al día; niños, 1 a 2 mg/kg al día); se administra con un antiácido durante la fase de inducción.

En algunos centros la AZA se inicia al mismo tiempo que los glucocorticoides, mientras que la mayoría de los centros recomiendan esperar 2 semanas antes de comenzar AZA para confirmar la respuesta a los esteroides, evaluar el estado de TPMT y evaluar la respuesta al tratamiento excluyendo la rara posibilidad de hepatitis inducida por AZA.4, 15

La dosis de prednisona o prednisolona se reduce gradualmente a 20 mg diarios o a una dosis suficiente para lograr la remisión bioquímica mientras se controlan las pruebas de laboratorio cada 2 semanas. A partir de entonces, se recomienda una disminución gradual (2,5 a 5 mg cada 2 a 4 semanas) para lograr una dosis más baja de 5 a 10 mg diarios que mantenga la remisión de laboratorio.

Se puede utilizar monoterapia con corticoides solo cuando el paciente tiene contraindicación para recibir AZA, o cuando el tiempo de tratamiento esperado sea menor de 6 meses.

En el contexto de la intolerancia a la AZA, el MMF

33 Acta Gastroenterol Latinoam 2023;53(1):28-37
Hepatitis autoinmune: conceptos actuales Mónica P. Marino

es una terapia alternativa aceptable para mantener la remisión.

La dosis inicial típica de AZA es de 50 a 100 mg al día en adultos y de 1 a 2 mg/kg al día en niños. La aparición de leucopenia o trombocitopenia justifica la reducción de la dosis o la suspensión del fármaco. La AZA debe interrumpirse si la citopenia no se recupera en 1 o 2 semanas. La mayoría de los casos de citopenia en pacientes tratados con AZA en la HAI se asocian con cirrosis.

La eficacia y seguridad de la budesonida (que tiene un efecto de primer paso hepático del 90%) en combinación con AZA fue demostrada en un ensayo aleatorio de HAI recién diagnosticada que se centró en la remisión de laboratorio después de 6 meses. Los pacientes que recibieron budesonida (3 mg tres veces al día, reducidos a dos veces al día después de la remisión) combinados con AZA según el peso (1 a 2 mg/kg al día) lograron la remisión de laboratorio después de 6 meses más frecuentemente (60% versus 39%) y con menos efectos secundarios específicos (SSSE; 28% versus 53%) en comparación con prednisona (40 mg diarios reducidos a 10 mg diarios) combinado con AZA basado en el peso. Un beneficio potencial a largo plazo de la terapia con budesonida es la preservación de la densidad mineral ósea.16

Se realizó una revisión sistemática y un metanálisis para investigar si el tratamiento de primera línea con prednisona o prednisolona sola o en combinación con AZA fue superior a la budesonida en combinación con AZA en pacientes con HAI recién diagnosticada. Los objetivos fueron evaluar la frecuencia de la remisión, el intervalo hasta la remisión, la frecuencia y el tipo de efectos secundarios asociados con la medicación y la frecuencia de muerte o TH.4, 15

El metanálisis reveló que la remisión bioquímica era más probable con el uso de budesonida y AZA en comparación con prednisona y AZA (OR: 2,19; intervalo de confianza [IC] del 95%: 1,30 a 3,67) (grado de evidencia alto), pero el análisis se basó en un único ensayo clínico aleatorizado.

Por lo tanto, las guías de la AASLD recomiendan:

- Para los niños y adultos que presentan HAI y no tienen cirrosis o HAI grave aguda, utilizar budesonida y AZA o prednisona/prednisolona y AZA como tratamiento de primera línea.

- Para niños y adultos con HAI que tienen cirrosis o presentan HAI grave aguda, se sugiere que no se utilice budesonida (recomendación condicional, certeza muy baja).

Alternativas al tratamiento de primera línea

El MMF se utiliza en pacientes intolerantes a AZA como tratamiento de primera línea en combinación con prednisolona.

Por otro lado, la ciclosporina (CsA) ha inducido la remisión bioquímica en niños con HAI con buenos resultados durante el seguimiento a largo plazo. Los niveles mínimos de CsA generalmente se mantienen más altos inicialmente (es decir, 150 a 200 ng/mL) y luego disminuyen gradualmente a 50 a 70 ng/ml después de 1 año, siempre que la enfermedad esté en remisión.

El tacrolimus (TAC) redujo los niveles séricos de AST y ALT en un 70% y un 80% respectivamente después de 3 meses, pero esta promesa inicial no se ha observado en otros estudios. En este momento, no hay datos suficientes para recomendar los inhibidores de la calcineurina como agentes de primera línea.4,16

Segunda Línea de tratamiento

Se puede utilizar el MMF en pacientes con HAI que no toleran la AZA o tienen una respuesta incompleta o fracaso del tratamiento con glucocorticoides/AZA.

La efectividad de MMF como terapia de segunda línea también ha sido respaldada por un estudio reciente que indica la inducción de la remisión bioquímica en el 60% de los casos.4

Inhibidores de calcineurina

Hay múltiples estudios sobre el uso de TAC en el contexto del fracaso del tratamiento. Se ha administrado en combinación con prednisona, budesonida, AZA o MMF, con niveles séricos mínimos que oscilan entre 1 y 10 ng/mL. Dos estudios de un solo centro informaron la normalización de las aminotransferasas séricas en respuesta a TAC en el 91%-92% de los casos de adultos, y un tercer estudio de un solo centro mostró la normalización del nivel sérico de ALT o IgG en el 79%.4

En niños o adultos con HAI que presentan fracaso del tratamiento, respuesta incompleta o intolerancia a los fármacos de primera línea, la AASLD sugiere el uso de MMF o TAC para lograr y mantener la remisión bioquímica (recomendación condicional, certeza baja).

Sobre la base de una mayor facilidad de uso y perfil de efectos secundarios, la AASLD sugiere un ensayo de MMF sobre TAC como agente inicial de segunda línea en pacientes con HAI (recomendación condicional, certeza muy baja).4, 22

Anticuerpos contra TNF-α

Se sabe que los anticuerpos monoclonales contra el TNF-α (infliximab) causan daño hepático e incluso pueden causar lesiones similares a la HAI inducidas por fármacos. Los anticuerpos anti-TNF también pueden tener un papel terapéutico en la HAI.4

34 Acta Gastroenterol Latinoam 2023;53(1):28-37
Hepatitis autoinmune: conceptos actuales Mónica P. Marino

Anticuerpos Anti CD20

El rituximab es un anticuerpo monoclonal dirigido contra el receptor CD20 de superficie de las células B. La evidencia que favorece el uso de anticuerpos que agotan las células B es limitada y no justifica su uso como tratamiento de segunda línea.4, 18

Tioguaninas

La tioguanina (TGN) se metaboliza directamente a 6-TGN, que es el metabolito activo de AZA. Los metabolitos de 6-TGN son responsables del efecto inmunosupresor terapéutico de AZA, pero también pueden causar mielosupresión, especialmente en presencia de deficiencia de TPMT. Los metabolitos metilados asociados con la conversión de AZA a 6-TGN se han asociado con intolerancia a AZA, y la producción de estos metabolitos metilados puede reducirse mediante el tratamiento con tioguanina.4, 17-18

Trasplante hepático en la HAI

La HAI es la indicación de TH en el 2%-3% de los receptores en Europay aproximadamente en el 5% de los receptores en Estados Unidos.

La sobrevida ha sido similar en pacientes pediátricos y adultos hasta los 50 años. La infección fue la causa más frecuente de muerte dentro de los 30 a 180 días posteriores al TH, especialmente durante el período postoperatorio temprano para pacientes > 50 años.

Respecto al uso a largo plazo de corticosteroides después de TH sigue habiendo controversias. La literatura sugiere que en algunos pacientes puede realizarse el retiro seguro delos corticosteroides.1

Respuesta al tratamiento

Respuesta Bioquímica Completa.

Se define como la normalización de la actividad de transaminasas séricas y nivel de IgG por debajo del límite superior normal (ULN), que debe lograrse, a más tardar, 6 meses después de iniciado del tratamiento.1

Respuesta insuficiente

La definición de "respuesta insuficiente" es la imposibilidad de lograr una respuesta bioquímica completa, utilizando una combinación de actividad de transaminasas e IgG.

El consenso con respecto a las definiciones de respuesta bioquímica completa y respuesta insuficiente indica que cualquier respuesta que no sea la normalización de transaminasas e IgG debe clasificarse como respuesta insuficiente.1

Falta de respuesta

Se define como una reducción < 50% del nivelde las transaminasas séricas después de 4 semanas de tratamiento. En el contexto de esta definición, las transaminasas séricas aún deben estar por encima del ULN para ser consideradas como falta de respuesta, ya que las transaminasas por debajo del ULN indican una posible respuesta bioquímica completa.1

Remisión

La remisión incluye la normalización de las transaminasas séricas y de los niveles de IgG por debajo del ULN. Esto debería lograrse a más tardar 6 meses después del inicio del tratamiento.

HAI post vacunación para COVID-19

Algunos informes recientes han sugerido que la vacunación contra el COVID-19 puede conducir al desarrollo de enfermedades autoinmunes. Se especula que la vacuna puede alterar la autotolerancia y desencadenar respuestas autoinmunes a través de la reactividad cruzada con las células del huésped. Por lo tanto, los proveedores de atención médica deben permanecer atentos durante la vacunación masiva contra el COVID-19.19-20

Los posibles mecanismos que pueden ocurrir detrás de escena incluyen el mimetismo molecular, los adyuvantes, la propagación de epítopos, la activación de espectadores, el cromosoma X y el hepatotropismo de SARS-CoV-2.

De todos modos, la evidencia de que las vacunas contra el COVID-19 inducen HAI se limitó a informes de casos, series de casos y cartas al editor. La fiabilidad de los informes de casos no permite confirmar si la relación entre la HAI y las vacunas es casual o causal.21

HAI y embarazo

La tasa general de complicaciones maternas durante el embarazo o dentro de los 12 meses posteriores al parto es del 38%.

Las pacientes con HAI que están embarazadas o que planean quedar embarazadas dentro del próximo año deben continuar con el tratamiento para reducir el riesgo de exacerbación y descompensación hepática. Los brotes son 3 veces más comunes después del parto.

Las dosis de mantenimiento de glucocorticoides y/o AZA deben continuarse durante todo el embarazo.

El MMF está contraindicado durante el embarazo y se debe informarse a las mujeres sobre sus efectos adversos antes de iniciar el tratamiento.

Las mujeres con cirrosis que están embarazadas o planean quedar embarazadas dentro del próximo año deben

35 Acta Gastroenterol Latinoam 2023;53(1):28-37
Hepatitis autoinmune: conceptos actuales Mónica P. Marino

Hepatitis autoinmune: conceptos actuales

someterse a una prueba de detección de várices mediante endoscopia antes de la concepción o durante el segundo trimestre de gestación y tratarse con ligaduras con bandas.

Las mujeres con HAI deben ser monitoreadas cuidadosamente durante los primeros 6 meses posteriores al parto para la detección temprana de un brote.4, 22

Conclusión

La HAI es una patología poco frecuente que en su evolución puede presentar complicaciones severas, incluyendo el trasplante hepático y la muerte.

A pesar del aporte de nuevas evidencias continúa siendo una patología de exclusión, dada la ausencia de biomarcadores específicos, si bien ciertas alteraciones del laboratorio y patrones histopatológicos determinados apuntan a un diagnóstico más probable.

Se dispone de tecnología no invasiva para el monitoreo de la enfermedad, tanto en la evaluación del tratamiento inmunosupresor, como en la prevención de aparición de complicaciones.

Propiedad intelectual. La autora declara que los datos, las figuras y las tablas presentes en el manuscrito son originales y se realizaron en su institución perteneciente.

Financiamiento. La autora declara que no hubo fuentes de financiación externas.

Conflicto de interés. La autora declara no tener conflictos de interés en relación con este artículo.

2. Wang G, Tanaka A, Zhao H, Jia J, Ma X, Harada K, Wang FS, Wei L, Wang Q, Sun Y, Hong Y, Rao H, Efe C, Lau G, Payawal D, Gani R, Lindor K, Jafri W, Omata M, Sarin SK. The Asian Pacific Association for the Study of the Liver clinical practice guidance: the diagnosis and management of patients with autoimmune hepatitis. Hepatol Int. 2021 Apr;15(2):223-257. DOI: 10.1007/s12072-021-10170-1. Epub 2021 May 4. PMID: 33942203; PMCID: PMC8144150.

3. Terziroli Beretta-Piccoli, B., Mieli-Vergani, G. &Vergani, D. Autoimmune Hepatitis: Serum Autoantibodies in Clinical Practice. ClinicRevAllergImmunol 63, 124-137 (2022). https://doi. org/10.1007/s12016-021-08888-9

4. Mack, C.L., Adams, D., Assis, D.N., Kerkar, N., Manns, M.P., Mayo, M.J., Vierling, J.M., Alsawas, M., Murad, M.H. and Czaja, A.J. (2020), Diagnosis and Management of Autoimmune Hepatitis in Adults and Children: 2019 Practice Guidance and Guidelines From the American Association for the Study of Liver Diseases. Hepatology, 72:671-722. https://doi.org/10.1002/ hep.31065

5. Mieli-Vergani G, Vergani D, Czaja AJ, Manns MP, Krawitt EL, Vierling JM, Lohse AW, Montano-Loza AJ. Autoimmune hepatitis. Nat Rev Dis Primers. 2018 Apr 12;4:18017. DOI: 10.1038/ nrdp.2018.17. PMID: 29644994.

6. Bhumi SA, Wu GY. Seronegative Autoimmune Hepatitis. J Clin Transl Hepatol. 2023 Apr 28;11(2):459-465. DOI: 10.14218/ JCTH.2022.00235. Epub 2022 Sep 26. PMID: 36643052; PMCID: PMC9817061.

7. Harrington, C, Krishnan, S, Mack, CL, Cravedi, P, Assis, DN, Levitsky, J. Noninvasive biomarkers for the diagnosis and management of autoimmune hepatitis. Hepatology. 2022;76: 18621879. https://doi.org/10.1002/hep.32591

8. Ni XX, Lian M, Wu HM, Li XY, Sheng L, Bao H, Miao Q, Xiao X, Guo CJ, Li H, Ma X, Hua J. Evaluation of controlled attenuation parameter in assessing hepatic steatosis in patients with autoimmune liver diseases. World J Gastroenterol. 2021 Jan 7;27(1):80-91. DOI: 10.3748/wjg.v27.i1.80. PMID: 33505152; PMCID: PMC7789069.

Aviso de derechos de autor

© 2023 Acta Gastroenterológica Latinoamericana. Este es un artículo de acceso abierto publicado bajo los términos de la Licencia Creative Commons Attribution (CC BY-NC-SA 4.0), la cual permite el uso, la distribución y la reproducción de forma no comercial, siempre que se cite al autor y la fuente original

Cite este artículo como: Marino P M. Hepatitis autoinmune: conceptos actuales. Acta Gastroenterol Latinoam. 2023;53(1): 28-37. https://doi.org/10.52787/agl.v53i1.309

Referencias

1. Pape S, et al Sistematicrewiew of response criteria and endpoints in autoimmune hepatitis by the International Autoimmune Hepatitis Group, J. Hepatol. 2022,76,841-849.

9. Gurung A, Assis DN, McCarty TR, Mitchell KA, Boyer JL, Jain D. Histologic features of autoimmune hepatitis: a critical appraisal. Hum Pathol. 2018;82:51-60. DOI: 10.1016/j.humpath.2018.07.014

10. Lohse AW, Sebode M, Bhathal PS, Clouston AD, Dienes HP, Jain D, Gouw ASH, Guindi M, Kakar S, Kleiner DE, Krech T, Lackner C, Longerich T, Saxena R, Terracciano L, Washington K, Weidemann S, Hübscher SG, Tiniakos D. Consensus recommendations for histological criteria of autoimmune hepatitis from the International AIH Pathology Group: Results of a workshop on AIH histology hosted by the European Reference Network on Hepatological Diseases and the European Society of Pathology: Results of a workshop on AIH histology hosted by the European Reference Network on Hepatological Diseases and the European Society of Pathology. Liver Int. 2022 May;42(5):1058-1069. DOI: 10.1111/liv.15217. Epub 2022 Mar 12. PMID: 35230735.

11. Hartl J, Ehlken H, Sebode M, Peiseler M, Krech T, Zenouzi R, von Felden J, Weiler-Normann C, Schramm C, Lohse AW. Usefulness of biochemical remission and transient elastography in monitoring disease course in autoimmune hepatitis. J Hepatol. 2018 Apr;68(4):754-763. DOI: 10.1016/j.jhep.2017.11.020. Epub 2017 Nov 24. PMID: 29180000.

36 Acta Gastroenterol Latinoam 2023;53(1):28-37
Mónica P. Marino

Hepatitis autoinmune: conceptos actuales

12. Hartl J, Denzer U, Ehlken H, Zenouzi R, Peiseler M, Sebode M, Hübener S, Pannicke N, Weiler-Normann C, Quaas A, Lohse AW, Schramm C. Transient elastography in autoimmune hepatitis: Timing determines the impact of inflammation and fibrosis. J Hepatol. 2016 Oct;65(4):769-775. DOI: 10.1016/j. jhep.2016.05.023. Epub 2016 May 26. PMID: 27238753.

13. Yan YL, Xing X, Wang Y, Wang XZ, Wang Z, Yang L. Clinical utility of two-dimensional shear-wave elastography in monitoring disease course in autoimmune hepatitis-primary biliary cholangitis overlap syndrome. World J Gastroenterol. 2022 May 14;28(18):2021-2033. DOI: 10.3748/wjg.v28.i18.2021. PMID: 35664960; PMCID: PMC9150059.

14. Efe, C, Kulkarni, AV, Terziroli Beretta-Piccoli, B, Magro, B, Stättermayer, A, Cengiz, M, et al. Liver injury after SARS-CoV-2 vaccination: features of immune-mediated hepatitis, role of corticosteroid therapy and outcome. Hepatology.2022;76:1576-1586. https://doi.org/10.1002/hep.32572

15. Purnak T, Efe C, Kav T, Wahlin S, Ozaslan E. Treatment response and outcome with two different prednisolone regimens in autoimmune hepatitis. Dig Dis Sci 2017;62(10):2900-2907.

16. Pape S, Gevers TJG, Belias M, Mustafajev IF, Vrolijk JM, van Hoek B, et al. Predniso(lo)ne dosage and chance of remission in patients with autoimmune hepatitis. Clin GastroenterolHepatol 2019;17(10):2068-2075.e2

17. Beretta-Piccoli BT, Mieli-Vergani G, Vergani D. Autoimmune hepatitis: Standard treatment and systematic review of alternative treatments. World J Gastroenterol 2017;23(33):6030-6048

18. Newman WG, Payne K, Tricker K, Roberts SA, Fargher E, Pushpakom S, et al. A pragmatic randomized controlled trial of thiopurine methyltransferase genotyping prior to aza- thioprine treatment: the TARGET study. Pharmacogenomics 2011;12(6):815-826.

19. Rodríguez Y, Rojas M, Beltrán S, Polo F, Camacho-Domínguez L, Morales SD, Gershwin ME, Anaya JM. Autoimmune and autoinflammatory conditions after COVID-19 vaccination. New case reports and updated literature review. J Autoimmun. 2022 Oct;132:102898. DOI: 10.1016/j.jaut.2022.102898. Epub 2022 Aug 24. PMID: 36041291; PMCID: PMC9399140.

20. European Association for the Study of the Liver. Electronic address: easloffice@easloffice.eu; Clinical Practice Guideline Panel; Chair; EASL Governing Board representative; Panel members. EASL Clinical Practice Guidelines on non-invasive tests for evaluation of liver disease severity and prognosis - 2021 update. J Hepatol. 2021 Sep;75(3):659-689. DOI: 10.1016/j.jhep.2021.05.025. Epub 2021 Jun 21. PMID: 34166721.

21. Front. Immunol., 25 November 2022Sec. Autoimmune and Autoinflammatory Disorders: Autoimmune Disorders Volume 132022. https://doi.org/10.3389/fimmu.2022.1035073

22. Schramm C, Herkel J, Beuers U et al. (2006) Pregnancy in autoimmune hepatitis: outcome and risk factors. Am J Gastroenterol 101:556-560. https://doi.org/10.1111/j.1572-0241.2006.00479.x

37 Acta Gastroenterol Latinoam 2023;53(1):28-37
Mónica P. Marino

Complicaciones de patologías congénitas en la adultez

Ezequiel Balaban · María Laura Moreno · Mauricio Paternó · Florencia Costa · Daniela Milito · María Eugenia Oregui

Hospital Dr. Carlos B. Udaondo. Ciudad Autónoma de Buenos Aires, Argentina.

Acta Gastroenterol Latinoam 2023;53(1):38

Recibido: 20/02/2023 / Aceptado: 22/03/2023 / Publicado online el 30/03/2023 / https://doi.org/10.52787/agl.v53i1.304

Se presenta el caso de una paciente de sexo femenino de 17 años de edad que consulta por distensión abdominal, vómitos y diarrea (en ocasiones con proctorragia), de meses de evolución.

La paciente presenta retraso madurativo, por lo que el interrogatorio se realiza principalmente al familiar. Éste refiere que la paciente tiene el antecedente de una enterectomía de 10 cm a los 45 días de vida, debido a obstrucción intestinal producto de una atresia yeyunoileal. Luego del episodio la evolución fue favorable, con episodios recurrentes de diarrea tratados empíricamente con rifaximina, con respuesta parcial.

Debido a la sospecha de una suboclusión intestinal se realiza una enterotomografía y, por sospecha de causa isquémica, se solicita la reconstrucción vascular.

lateralización izquierda

Correspondencia:: Ezequiel Balaban

Correo electrónico: eze.balaban@gmail.com

¿Cuál es su diagnóstico?

Solución del caso en la página 94

38 Acta Gastroenterol Latinoam 2023;53(1):38 ♦IMAGEN DEL NÚMERO
Figura 1. Reconstrucción volumétrica sectorial que evidencia disposición redundante del pedículo superior condicionado por reacomodamiento de asas Figura 2. Angiografía por TC multidetector con reconstrucción volumétrica tridimensional que grafica la disposición espiralada del pedículo mesentérico superior hacia la derecha y la arteria mesentérica inferior con franca

Factors Associated with Advanced Fibrosis in Patients with Nonalcoholic Fatty Liver Disease

Marina Jarschel Souza1 · Jessica Goedert Pereira1 · Ana Carolina de Souza Mangrich1

Ana Paula Beltrame Farina Pasinato2 · Esther Buzaglo Dantas-Corrêa1 · Leonardo de Lucca Schiavon1 · Janaína Luz Narciso-Schiavon1

1 Gastroenterology, Department of Internal Medicine - Federal University of Santa Catarina. Brasil.

2 Pathology Department - Hospital Universitário Polydoro Ernani de São Thiago - Universidade Federal de Santa Catarina, Florianópolis, SC, Brasil.

Acta Gastroenterol Latinoam 2023;53(1):39-48

Received: 13/09/2022 / Accepted: 22/02/2023 / Published online: 30/03/2023 / https://doi.org/10.52787/agl.v53i1.255

Summary

Introduction. Nonalcoholic fatty liver disease includes conditions such as nonalcoholic steatosis and nonalcoholic steatohepatitis, with varying degrees of fibrosis that can progress to cirrhosis and hepatocellular carcinoma. Although the gold standard for its diagnosis remains liver biopsy, many non-invasive methods have been proposed to aid in both the diagnosis of the disease and the evaluation of the presence of liver fibrosis, which is a strong and independent factor for liver related mortality. Objectives. The objectives of this study were: 1) to identify the clinical and laboratory features associated with the presence of advanced fibrosis in individuals with biopsy-confirmed nonalcoholic fatty liver disease; 2) to evaluate the performance of non-invasive markers in identifying patients with advanced fibrosis. Methods. A cross-sectional-analytic study that evaluated patients with nonalcoholic fatty liver disease treated in the outpatient clinic of a

university hospital of reference in hepatology, between January 2013 and December 2016. Results. 81 patients aged 53.3 ± 9.8 years were included in this study; 39.5% were men and 70.1% were obese. When comparing patients with advanced fibrosis to those without advanced fibrosis, patients with advanced fibrosis had a lower proportion of males than females (17.6 vs. 45.4%, p = 0.038), a higher proportion of hypothyroidism (29.4 vs. 6.3%, p = 0.017) and a higher median AST (52 vs. 31 U/L, p = 0.005). In logistic regression analysis, only hypothyroidism was independently associated with advanced fibrosis (OR = 4.975; CI 95% 1.05023.574; p = 0.043). Spearman correlation analysis showed that higher levels of fibrosis on liver biopsy, were associated with higher levels of TSH (r = 0.304; p = 0.036), AST (r = 0.277; p = 0.019), GGT (r = 0.284; p = 0.017) and LDL (r = 0.258; p = 0.037). Regarding the performance of the non-invasive markers, the area under the ROC curve of Fibrosis 4 score was 0.723 (p = 0.008), that of Nonalcoholic fatty liver disease fibrosis score was 0.713 (p = 0.022), that of gamma-glutamyl transferase platelet ratio was 0.697 (p = 0.019) and that of aspartate-to-alanine aminotransferase ratio was 0.689 (p = 0.031). Conclusions. Hypothyroidism is a factor independently associated with advanced fibrosis. In the outpatient setting, non-invasive markers may be useful in identifying patients with advanced fibrosis.

Correspondence: Janaína Luz Narciso-Schiavon Mail: janaina.narciso@uol.com.br

Keywords. Fatty liver, nonalcoholic fatty liver disease, liver fibrosis, liver cirrhosis, obesity, hypothyroidism.

39 Acta Gastroenterol Latinoam 2023;53(1):39-48 ♦ORIGINAL
ARTICLES

Factores asociados a la fibrosis avanzada en pacientes con enfermedad hepática grasa no alcohólica

Resumen

Introducción. La enfermedad por hígado graso no alcohólico incluye condiciones tales como la esteatosis no alcohólica y la esteatohepatitis no alcohólica, con diversos grados de fibrosis que pueden progresar a cirrosis y carcinoma hepatocelular. Si bien el estándar de oro para su diagnóstico sigue siendo la biopsia hepática, se han propuesto muchos métodos no invasivos para ayudar tanto en el diagnóstico de la enfermedad como en la evaluación de la presencia de fibrosis hepática, factor fuerte e independiente de mortalidad relacionada con el hígado. Objetivos. Los objetivos de este estudio fueron: 1) identificar las características clínicas y de laboratorio asociadas a la presencia de fibrosis avanzada en individuos con enfermedad por hígado graso no alcohólico confirmada por biopsia, 2) evaluar el desempeño de marcadores no invasivos para identificar a los pacientes con fibrosis avanzada. Métodos. Estudio transversal, analítico, en el que se evaluaron pacientes con hígado graso no alcohólico atendidos en la consulta externa de un hospital universitario de referencia en hepatología, entre enero de 2013 y diciembre de 2016. Resultados. En el estudio se incluyeron 81 pacientes de 53,3 ± 9,8 años. El 39,5% eran hombres y el 70,1% eran obesos. Al comparar pacientes con fibrosis avanzada con aquellos sin fibrosis avanzada, los pacientes con fibrosis avanzada tenían una menor proporción de varones que de mujeres (17,6% vs. 45,4%, p = 0,038), una mayor proporción de hipotiroidismo (29,4% vs. 6,3%, p = 0,017) y unar mediana de AST más alta (52 vs. 31 U/L; p = 0,005). En el análisis de regresión logística, solo el hipotiroidismo se asoció de forma independiente con la fibrosis avanzada (OR = 4,975; IC 95% 1,050 - 23,574; p = 0,043). El análisis de correlación de Spearman mostró que los niveles más altos de fibrosis en la biopsia hepática se asociaron con niveles más altos de la Hormona estimulante de la tiroides (r = 0,304; p = 0,036), Aspartato aminotransferasa (r = 0,277; p = 0,019), Gamma-glutamil transferasa (r = 0,284; p = 0,017) y Lipoproteína de baja densidad (r = 0.258; p = 0.037). En cuanto al desempeño de los marcadores no invasivos, el área bajo la curva ROC del puntaje Fibrosis 4 fue 0,723 (p = 0,008), la del puntaje de fibrosis en la enfermedad por hígado graso no alcoholico fue 0,713 (p = 0,022), la de la relación de plaquetas/ gamma glutamil transferasa fue 0,697 (p = 0,019), y de la relación de aspartato/ alanina aminotransferasa fue de 0,689 (p = 0,031). Conclusiones. El hipotiroidismo es un factor que se asocia de forma independiente a la presencia de fibrosis avanzada. En la práctica

ambulatoria, los marcadores no invasivos pueden ser de utilidad para identificar a los pacientes con fibrosis avanzada.

Palabras claves. Hígado graso, enfermedad hepática grasa no alcohólica, fibrosis hepática, cirrosis hepática, obesidad, hipotiroidismo.

Abbreviations

NAFLD: Nonalcoholic fatty liver disease.

NASH: Nonalcoholic steatohepatitis.

T2DM: Type 2 diabetes mellitus.

SAH: Systemic arterial hypertension.

AAR: Aspartate-to-alanine aminotransferase ratio.

APRI: Aspartate aminotransferase to platelet ratio index.

FIB-4: Fibrosis 4.

NFS: Nonalcoholic fatty liver disease fibrosis score.

HU/UFSC: Polydoro Ernani University Hospital of São Thiago, Federal University of Santa Catarina.

SPSS: Statistical Package for the Social Science.

BMI: Body mass index.

Hb: Hemoglobin.

AST: Aspartate aminotransferase.

ALT: Alanine aminotransferase.

ALP: Alkaline phosphatase.

GGT: Gamma-glutamyl transferase.

DB: Direct bilirubin.

PTA: Prothrombin time activity.

INR: International normalized ratio.

HbA1c: Glycosylated hemoglobin.

TSH: Thyroid stimulating hormone.

TG: Triglycerides.

TC: Total cholesterol.

HDL: High-density lipoprotein.

LDL: Low-density lipoprotein.

GPR: Gamma-glutamyl transferase platelet ratio.

AUROC: Area under the receiver operating characteristic curve.

NAS: NAFLD Activity score.

TSHR: Thyrotropin receptor.

T4: Thyroxine.

HBV: Hepatitis B virus.

HIV: Human immunodeficiency virus.

HCV: Hepatitis C virus.

Introduction

Nonalcoholic fatty liver disease (NAFLD) affects 1746% of adults and is the most common disorder in Western countries.1 Nonalcoholic steatohepatitis (NASH) is present in up to 10% of individuals.2 NAFLD is currently

40 Acta Gastroenterol Latinoam 2023;53(1):39-48
Advanced Fibrosis in Nonalcoholic Fatty Liver Disease Marina Jarschel de Souza et al.

the second most common indication for liver transplantation in the United States and is expected to become the first in the next 10 years.3 While the prevalence of other chronic liver diseases has remained stable or declined, the prevalence of NAFLD has doubled in the last 20 years.4

The clinical spectrum of NAFLD ranges from hepatic steatosis and NASH to cirrhosis and hepatocellular carcinoma.1, 5 Several conditions are clearly associated with the development of NAFLD, including obesity, type 2 diabetes mellitus (T2DM), systemic arterial hypertension (SAH), dyslipidemia and polycystic ovary syndrome. In addition, there are some conditions with an incipient association, such as hypothyroidism, obstructive sleep apnea and psoriasis, among others.5

Liver biopsy is essential to reliably differentiate between steatosis and steatohepatitis.1, 6 However, biopsy is an invasive procedure with risk of complications that depends on sample variability.6, 7 Thus, there is a great need for noninvasive methods that can aid in the diagnosis and prognosis of the disease. Many serum biomarkers attempt to assess the presence or absence of fibrosis, such as aspartate-to-alanine aminotransferase ratio (AAR), aspartate aminotransferase to platelet ratio index (APRI), fibrosis 4 (FIB-4), FibroTest, BARD score, and NAFLD fibrosis score (NFS). Some were developed primarily for other etiologies of cirrhosis, but they have been shown to be good predictors in the case of NAFLD.8-13

Therefore, the aim of this study was to identify clinical and laboratory features associated with the presence of advanced fibrosis in individuals with NAFLD and to evaluate the performance of non-invasive markers to identify patients with advanced fibrosis.

Methods

Cross-sectional analytical study conducted through review of medical records, evaluating individuals with NAFLD treated at the Gastroenterology and Hepatology Outpatient Clinic of the Polydoro Ernani University Hospital of São Thiago, Federal University of Santa Catarina (HU/UFSC), between January 2013 and December 2016, who underwent liver biopsy. Those with insufficient clinical and laboratory data in the medical records or other diagnoses as a cause of liver disease were excluded.

The clinical, laboratory and histological characteristics of the subjects included in the study were analyzed. All data were collected from medical records and anatomopathological reports, and transferred to the Statistical Package for the Social Science (SPSS), version 17 (Chicago; Illinois, USA).

The following clinical characteristics were evaluated:

sex; age; body mass index (BMI); obesity; history of diabetes mellitus; dyslipidemia; alcohol abuse, defined as a report of alcohol intake greater than 20 g per day for women and 30 g per day for men;1, 6 SAH; hypothyroidism, defined by clinical history and considered only in individuals undergoing treatment.

Other variables evaluated were: skin color; liver failure; hemoglobin (Hb), platelets; aspartate aminotransferase (AST), alanine aminotransferase (ALT), alkaline phosphatase (ALP), gamma-glutamyl transferase (GGT), direct bilirubin (DB), serum albumin, prothrombin time activity (PTA), international normalized ratio (INR), creatinine, ferritin, glycemia, glycosylated hemoglobin (HbA1c), thyroid stimulating hormone (TSH), triglycerides (TG), total cholesterol (TC), high-density lipoprotein (HDL), low-density lipoprotein (LDL).

The formulas used to calculate the AAR, GGT platelet ratio (GPR) and FIB-4 were: AAR=AST (IU/L) / ALT (IU/L); GPR = (GGT (IU/L) / maximum GGT reference value (IU/L) / platelets (109/L) × 100; FIB-4 = age (years) × AST (IU/L) / (platelets (109/L) × (ALT (IU/L) / 2). The NFS was calculated using the online calculator http://gihep.com/calculators/hepatology/nafld-fibrosis-score/ and the thresholds for the NFS used were as follows: stage 1, ≤ -1.455 (predictor of the absence of significant fibrosis, fibrosis F0-F2); stage 2, > -1.455 to ≤ 0.675 (indeterminate score); stage 3, > 0.675 (predictor of the presence of significant fibrosis, fibrosis F3-F4).12 The predictive accuracies of the noninvasive models (FIB-4, NFS and GPR) were tested by measuring the areas under the receiver operating characteristic curves (AUROC).

Histological analysis

Only liver tissue containing at least ten portal spaces was selected for evaluation. The degree of fibrosis was scored from 0 to 4; 0 for absence, 1 for perisinusoidal or periportal, 2 for perisinusoidal and portal/periportal fibrosis, 3 for bridging fibrosis and 4 for cirrhosis. 14 Advanced fibrosis was defined as fibrosis 3 or 4 (F3F4). Based on the original histopathological criteria (necroinflammatory grade) of Brunt et al. , each case was classified as mild (grade 1), moderate (grade 2), or severe (grade 3) NASH.15 Subsequently, for clinical evaluation and follow-up, disease severity was assessed according to the NAFLD activity score (NAS), which is the sum of the semiquantitative assessment of steatosis, ballooning and lobular inflammation, and can range from 0 to 8. Cases with NAS from 0 to 2 were widely considered non-diagnostic for steatohepatitis. On the other hand, most cases with scores ≥ 5 were diagnosed as steatohepatitis.14,16

41 Acta Gastroenterol Latinoam 2023;53(1):39-48 Advanced Fibrosis in Nonalcoholic Fatty Liver Disease
et al.
Marina Jarschel de Souza

Statistical analysis

Continuous variables were described using measures of central tendency and dispersion, while categorical variables were described using absolute numbers and proportions. Continuous variables were compared using Student’s t-test or Mann-Whitney test. When appropriate, categorical variables were compared using the chisquared test or Fisher’s exact test. Bivariate analysis was performed to identify the characteristics associated with advanced fibrosis. Spearman’s correlation analysis was performed to identify continuous variables that correlated with the degree of liver fibrosis detected by biopsy. P values less than 0.05 were considered statistically significant. All tests used were two-tailed and performed by SPSS; version 17.0.

Results

A total of 318 patients with ultrasound-detected steatosis treated during the study period were evaluated for inclusion. Of these, 104 underwent liver biopsy. The study excluded 6 patients with alcohol consumption greater than 30 g/day for men and 20 g/day for women, 9 with other diagnoses as the cause of liver disease, and 8 with insufficient data. (Figure 1)

The study included 81 patients with a mean age of 53.3 ± 9.8 years. Of these, 39.5% were men; 70.1% were obese; 67.9% had dyslipidemia; 65.4% had hyperten-

NAFLD: non-alcoholic fatty liver disease.

from the

• Insufficient data, N = 8

sion; almost half of the participants (47.5%) had T2DM; and 11.1% of the participants had hypothyroidism. The clinical and laboratory characteristics of the patients are described in Table 1.

42 Acta Gastroenterol Latinoam 2023;53(1):39-48 Advanced Fibrosis in Nonalcoholic Fatty Liver Disease Marina Jarschel de Souza et al.
N = 104
N = 318 Pa ents evaluated for enrollment NAFLD N = 81 Pa ents included in the study
Figure 1. Flowchart of included patients
NAFLD with liver biopsy
NAFLD
Pa ents excluded
study • Alcohol, N = 6 • Other diagnosis, N = 9
Characteristics n % Mean ± standard Median deviation Age 53.3±9.8 55.0 Male sex 32 39.5 Obesity 54 70.1 Dyslipidemia 55 67.9 SAH 53 65.4 Diabetes 38 47.5 Hypothyroidism 9 11.1 Creatinine, mg/dL 0.9±0.2 0.9 Hemoglobin, g/dL 14.3±3.4 14.3 Platelets /mm3 218820±48883 222000
Table 1. Clinical and laboratory characteristics of 81 patients with NAFLD

NAFLD: non-alcoholic fatty liver disease; SAH: systemic arterial hypertension; NFS F3-F4: NAFLD Fibrosis Score, fibrosis 3-4; AST: aspartate aminotransferase; ALT: alanine aminotransferase; ALP: alkaline phosphatase; GGT: gamma glutamyl transferase; DB: direct bilirubin; INR: international normalized ratio; HbA1c: glycated hemoglobin; HDL: high-density lipoproteins; LDL: low-density lipoproteins.

When evaluating the anatomopathological reports of liver biopsies, 63 (77.8%) patients were found to have moderate or severe steatosis. Stage ≥ 2 steatohepatitis was detected in 71 patients (87.7%), 11 patients (13.6%) had NAS ≤ 2 and 41 patients (50.6%) had NAS ≥ 5. Ballooning was identified in 53 (65.4%) patients, inflammation in 66 (81.5%), siderosis in 24 (29.6%) and Mallory’s bodies in 7 (8.6%). When evaluating the degree of fibrosis, 12 (14.8%) patients had grade 0, 30 (37.0%) grade 1, 12 (14.8%) grade 2, 14 (17.2%) grade 3 and 3 (3.7%) grade 4. Seventeen patients (21.0%) had advanced fibrosis.

When comparing individuals with advanced fibrosis to those without advanced fibrosis (Table 2), patients with advanced fibrosis had a lower propor-

tion of males (17.6 vs. 45.4%; p = 0.038); a higher proportion of hypothyroidism (29.4 vs. 6.3 mU/L; p = 0.017); higher median AST (52 vs. 31 U/L; p = 0.005); higher mean AST/ALT ratio (0.76 ± 0.2 vs. 0.61 ± 0.3; p = 0.031) and higher median FIB-4 (1.6 vs. 1.1; p = 0.008), GPR (0.5 vs. 0.3; p = 0.019) and NFS scores of- 0.02 vs. - 1.26 (p = 0.022). There were no differences in age, BMI, T2DM, SAH, dyslipidemia, obesity, creatinine, hemoglobin, ferritin, TSH, ALT, ALP, GGT, DB, albumin, INR, glycemia, HbA1c, triglycerides, total cholesterol, HDL and LDL. The multivariate analysis included the variables that showed p < 0.050 in the univariate analysis and T2DM, which is classically associated with advanced fibrosis in NAFLD. As this was an exploratory analysis, the non-invasive models previously

43 Acta Gastroenterol Latinoam 2023;53(1):39-48 Advanced Fibrosis in Nonalcoholic Fatty Liver Disease Marina Jarschel de Souza et al.
Characteristics n % Mean ± standard Median deviation Ferritin, ng/mL 464.5±427.3 326.0 AST, U/L 48.7±37.8 34.0 ALT, U/L 78.3±50.5 63.0 ALP, U/L 95.3±45.1 84.0 GGT, U/L 100.7±122.4 70.0 DB, mg/dL 0.2±0.1 0.1 Albumin, g/L 4.1±0.4 4.0 INR 1.1±0.1 1.1 Glycemia, mg/dL 114.8±36.6 106.0 HbA1c% 6.5±1.4 6.0 TSH, mU/L 2.5±1.9 2.0 Triglycerides, mg/dL 179.7±99.6 157.0 Total Cholesterol mg/dL 199.7±49.3 191.5 HDL, mg/dL 44.9±13.1 43.0 LDL, mg/dL 124.2±33.3 118.5

Advanced Fibrosis in Nonalcoholic Fatty Liver Disease

Table 2. Comparative analysis of individuals with NAFLD according to the presence of advanced fibrosis on liver biopsy

NAFLD: non-alcoholic fatty liver disease; SD: standard deviation; BMI: body mass index; SAH: systemic arterial hypertension; TSH: thyroid-stimulating hormone; AST: aspartate aminotransferase; ALT: alanine aminotransferase; ALP: alkaline phosphatase; GGT: gamma glutamyl transferase; DB: direct bilirubin; INR: international normalized ratio; HbA1c: glycated hemoglobin; HDL: high-density lipoproteins; LDL: low-density lipoproteins; AST/ALT: ratio between aspartate aminotransferase and alanine aminotransferase; FIB-4: Fibrosis-4; GPR: GGT and platelet ratio; NFS: NAFLD Fibrosis Score.

44 Acta Gastroenterol Latinoam 2023;53(1):39-48
Marina Jarschel de Souza et al.
Characteristics Advanced fibrosis Absence of advanced fibrosis p n=17 n=64 Male sex (%) 17.6 45.4 0.038 Age, years (mean, SD) 52.3±8.0 54.6±8.6 0.973 BMI (mean ± SD) 37.2±4.2 32.3±4.9 0.690 Diabetes (%) 64.7 42.9 0.109 SAH (%) 64.7 65.6 0.944 Dyslipidemia (%) 64.7 68.8 0.751 Hypothyroidism (%) 29.4 6.3 0.017 Obesity (%) 68.8 70.5 1.000 Creatinine, mg/dL (mean ± SD) 0.7±0.1 1.0±0.2 0.743 Hemoglobin, g/dL (mean ± SD) 14.2±2.9 14.3±1.0 0.519 Ferritin, ng/mL (mean ± SD) 362.3±308.5 540.4±656.2 0.903 TSH, mU/L (median) 2.7 1.9 0.472 AST, U/L (median) 52.0 31.0 0.005 ALT, U/L (median) 69.0 49.0 0.175 ALP, U/L (median) 93.0 73.0 0.741 GGT, U/L (mean ± SD) 96.7±43.8 49.6±30.7 0.130 DB, mg/dL (mean ± SD) 0.1±0.1 0.1±0.0 0.497 Albumin, g/L (mean ± SD) 3.9±0.3 4.0±0.3 0.347 INR (mean ± SD) 1.1±0.1 1.1±0.1 0.603 Glycemia, mg/dL mean ± SD) 140.7±40.3 107.6±18.2 0.110 HbA1c, % (mean ± SD) 7.4±1.3 5.8±0.4 0.178 Triglycerides, mg/dL (mean ± SD) 151.3±80.6 166.0±114.9 0.432 Total cholesterol, mg/dL (median) 164.0 222.0 0.852 HDL, mg/dL (mean ± SD) 43.0±2.0 48.2±12.0 0.731 LDL, mg/dL (mean ± SD) 101.7±8.1 129.7±35.6 0.149 AST/ALT (mean ± SD) 0.76±0.2 0.61±0.3 0.031 FIB-4 (median) 1.6 1.1 0.008 GPR (median) 0.5 0.3 0.019 NFS (median) -0.02 -1.26 0.022

shown to be associated with fibrosis were not included. The results of the regression analysis are in Table 3. Only hypothyroidism was independently associated with advanced fibrosis (OR: 4.975; CI 95% 1.050-23.574; p = 0.043).

Spearman correlation analysis showed that the higher the degree of fibrosis at liver biopsy, the higher the TSH (r = 0.304; p = 0.036), AST (r = 0.277; p = 0.019), GGT (r = 0.284; p = 0.017), and LDL levels (r = 0.258; p = 0.037), and the higher the AAR (r = 0.309; p = 0.009), GPR (r = 0.319; p = 0.009) and FIB-4

(r = 0.320; p = 0.008) results of the individuals. Figure 2 shows TSH levels according to the stage of liver fibrosis. There was no correlation between the degree of liver fibrosis and the values of age, BMI, creatinine, hemoglobin, platelets, ferritin, ALT, ALP, BD, albumin, INR, glycemia, HbA1c, TG, TC, and HDL. There was also no correlation between fibrosis and NFS (r = - 0.092; p = 0.0502). Regarding the performance of the non-invasive markers (Table 4), the AUROC of FIB-4 was 0.723 (p = 0.008), NFS was 0.713 (p = 0.022), GPR was 0.697 (p = 0.019) and AAR was 0.689 (p = 0.017).

45 Acta Gastroenterol Latinoam 2023;53(1):39-48
Advanced Fibrosis in Nonalcoholic Fatty Liver Disease
Marina Jarschel de Souza et al.
Characteristics OR CI 95% p Male sex 2.166 0.513–9.151 0.293 Diabetes type 2 2.053 0.600–7.019 0.252 Hipothyroidism 4.975 1.050–23.574 0.043 AST 1.012 0.998–1.026 0.083
Table 3. Multivariate analysis of factors associated with the presence of advanced fibrosis on liver biopsy in 81 individuals with NAFLD NAFLD: non-alcoholic fatty liver disease; AST: aspartate aminotransferase; OR: odds ratio; CI: confidence interval.
T SH (mU/L)
stage 4 2 0 8 6 10 4 2 3 0 1
Figure 2. Box plot of TSH levels by stage of liver fibrosis
Fibrosis
The line across the box indicates the median value; the box contains the 25% to 75% interquartile range; and the whiskers represent the highest and lowest values.

Discussion

Our study showed a significant relationship between advanced fibrosis and the presence of hypothyroidism, and a correlation between higher TSH levels and higher fibrosis degree, a trend in the current literature.17-19 Conversion of thyroxine (T4) to triiodothyronine also occurs in the liver, which synthesizes thyroid hormone-binding lipophilic plasma proteins. Hepatocyte integrity is essential for the maintenance of thyroid function.19 Hypothyroidism can induce steatogenesis because thyroid hormones increase the expression of LDL receptors in hepatocytes and increase the activity of fat-reducing enzymes, thereby decreasing serum LDL levels.19 A recent meta-analysis17 of 26 studies showed that TSH may be an important risk factor for the development and progression of NAFLD, independent of thyroid hormones. Even in subjects with normal TSH levels, NAFLD patients had significantly higher TSH levels than healthy controls, and TSH levels increased with NAFLD progression.17 Kim et al.18 showed that the risk of NASH and advanced fibrosis increased significantly with TSH levels. Subclinical hypothyroidism was significantly associated with the risk of NASH, even after adjustment for obesity, metabolic risk factors and insulin resistance, suggesting that subclinical hypothyroidism is an independent factor for NASH and advanced fibrosis.18 One hypotheses for this occurrence is the positive association between TSH concentrations and TG, even within the normal range. Another hypothesis relates to the fact that liver cells express the thyrotropin receptor (TSHR), and when TSH binds to this receptor in hepatocytes, it triggers a pathway associated with lipogenesis.17 TSRH may also be related

to the fibrosing effect of TSH, TSRH α1 is predominant in hepatic stellate cells, suggesting that it may modulate fibrinogenesis. Whereas in liver cells, TSRHs α1 and β1 are suppressed in chronic liver injury.17 In addition, thyroid dysfunction may also mediate hepatic histological damage through oxidative stress and mitochondrial dysfunction.18

The present study shows a significant association between AST and AAR levels and advanced fibrosis. In NAFLD, ALT levels are usually higher than AST levels, but with disease progression the relationship is reversed. Thus, an AAR > 1 indicates advanced fibrosing disease, which may be related to the reduction in sinusoidal AST clearance in relation to ALT.20 Many scores for assessing fibrosis already use AAR as a component: HSI, NLFS, BARD, and NFS.7 This ratio has a good negative predictive value and could be used to rule out the presence of advanced fibrosis.21 In adittion, it can be calculated by widely available laboratory tests commonly used in the follow-up of these patients.20-22 However, studies suggest that ALT may decrease not only in fibrosis but also with age; therefore, AAR should be used with caution in older adults.23

It has been suggested that GPR can evaluate liver fibrosis in patients with chronic hepatitis B and NAFLD.26, 27 In 2016, Lemoine et al.13 proposed GPR as a marker of fibrosis stage in patients with chronic hepatitis B. Li et al.26 evaluated GPR as a predictive marker of fibrosis compared to liver biopsy in patients with HBV and NAFLD (HBV-NAFLD). In this study, GGT levels were higher in patients with HBV-NAFLD than in patients with HBV alone. Our study showed higher GPR results

46 Acta Gastroenterol Latinoam 2023;53(1):39-48
Advanced Fibrosis in Nonalcoholic Fatty Liver Disease
Marina Jarschel de Souza et al.
Characteristics Advanced fibrosis Mild fibrosis P‡ AUC N=17 N=64 FIB-4† 1.6 1.1 0.008 0.723 NFS† -0.02 -1.26 0.022 0.713 GPR† 0.5 0.3 0.019 0.697 AST/ALT* 0.76±0.2 0.61±0.3 0.031 0.689
Table 4. Comparative analysis and performance of non-invasive markers according to the presence of advanced fibrosis on liver biopsy of 81 individuals with NAFLD NAFLD: non-alcoholic fatty liver disease; FIB-4: Fibrosis-4; NFS: NAFLD Fibrosis Score; GPR: GGT and platelet ratio; AST/ALT: aspartate aminotransferase and alanine aminotransferase ratio; AUC: area under the curve ROC; † median; *mean ± standard deviation; ‡ chi-square test, Fisher's exact test, student's t test, or Mann Whitney test, when appropriate.

in patients with advanced fibrosis and also a correlation between fibrosis levels and GPR in patients who had only NAFLD and did not have chronic hepatitis B. We found no other studies evaluating this score in patients with NAFLD alone. Further studies are needed in this area, as this is not a validated score for this purpose.

The FIB-4 score was primarily developed in 2006 to predict fibrosis in patients with HIV/HCV coinfection, using simple and available variables: age, AST, and platelets. 9 Since then, it has been used to predict fibrosis in other diseases such as NAFLD. 1, 5, 28, 29 In 2007, Angulo et al. created the NFS, developed specifically for this group of patients and also used to identify fibrosis. 12 To calculate the NFS, easily accessible variables are also used: the presence of altered fasting glycemia or T2DM, age, AST, ALT, platelets, BMI, and albumin. 12 In our study, we observed higher results for both scores in patients with advanced fibrosis and a correlation between increased FIB-4 values and increased fibrosis. Both NFS and FIB-4 have been validated in NAFLD populations with consistent results, and both predict all-cause mortality, cardiovascular mortality, and liver-related mortality. 1 Moreover, they perform better in differentiating advanced fibrosis ( ≥ F3) and have higher negative predictive values for excluding advanced fibrosis than positive predictive values. 1 NFS < -1.455 had 90% sensitivity and 60% specificity for excluding advanced fibrosis, while NFS > 0.676 had 67% sensitivity and 97% specificity for identifying advanced fibrosis. 5 Compared with scores such as BARD, APRI, and AAR, NFS and FIB-4 perform better in predicting advanced fibrosis in patients with biopsy-confirmed NAFLD. 5

Our study included 81 patients whose liver biopsies were analyzed by a single pathologist specializing in liver pathology. However, we must emphasize that this is not a prospective multicenter study. Nevertheless, data collection was standardized and the study took place in a reference center for liver diseases. Another limitation is that since the patients included in this study generally underwent a liver biopsy to evaluate aggressive or advanced disease, our results reflect a sicker population than general practice.

Conclusion

This study suggests that hypothyroidism may be an independent factor associated with the presence of advanced fibrosis in patients with NAFLD. If further studies confirm our findings, active screening for hypothyroidism in patients with NAFLD may be an important

recommendation in clinical practice. In addition, our data indicate that non-invasive markers can be very useful in identifying patients with advanced fibrosis.

Consent for publication. Written informed consent was obtained from the patient or patient’s father, guardian or family member for publication of the data and/or clinical images for the benefit of science. A copy of the consent form is available to the editors of this journal.

Intellectual Property. The authors declare that the data, figures and tables presented in the manuscript are original and were carried out at their belonging institutions.

Funding. The authors declare that there were no external sources of funding.

Conflict of interest. The authors declare that they have no conflicts of interest in relation to this article.

Copyright © 2023 Acta Gastroenterológica latinoamericana. This is an openaccess article released under the terms of the Creative Commons Attribution (CC BY-NCSA 4.0) license, which allows non-commercial use, distribution, and reproduction, provided the original author and source are acknowledged

Cite this article as: Jarschel Souza M, Goedert Pereira J, de Souza Mangrich A C et al. Factors Associated with Advanced Fibrosis in Patients with Nonalcoholic Fatty Liver Disease. Acta Gastroenterol Latinoam. 2023;53(1):39-48. https://doi.org/10.52787/agl.v53i1.255

References

1. EASL-EASD-EASO Clinical Practice Guidelines for the management of non-alcoholic fatty liver disease. J Hepatol. 2016; 64(6):1388-402.

2. Parker R, Hodson J, Rowe IAC. Systematic review: Current evidence in non-alcoholic fatty liver disease lacks relevance to patients with advanced fibrosis. J Gastroenterol Hepatol. 2017;32(5):950-6.

3. Byrne CD, Targher G. EASL-EASD-EASO Clinical Practice Guidelines for the management of non-alcoholic fatty liver disease: is universal screening appropriate? Diabetologia. 2016;59(6):1141-4.

47 Acta Gastroenterol Latinoam 2023;53(1):39-48 Advanced
in
et
Fibrosis
Nonalcoholic Fatty Liver Disease Marina Jarschel de Souza
al.

4. LaBrecque DR, Abbas Z, Anania F, Ferenci P, Khan AG, Goh K-L, et al. World Gastroenterology Organisation global guidelines: Nonalcoholic fatty liver disease and nonalcoholic steatohepatitis. J Clin Gastroenterol. 2014;48(6):467-73.

5. Chalasani N, Younossi Z, Lavine JE, Charlton M, Cusi K, Rinella M, et al. The diagnosis and management of nonalcoholic fatty liver disease: Practice guidance from the American Association for the Study of Liver Diseases. Hepatology. 2018;67(1):328-57.

6. Shah RA, Kowdley KV. Serum ferritin as a biomarker for NAFLD: ready for prime time? 2019.

7. Castera L, Friedrich-Rust M, Loomba R. Noninvasive Assessment of Liver Disease in Patients With Nonalcoholic Fatty Liver Disease. Gastroenterology. 2019;156(5):1264-81.e4.

8. Wai CT, Greenson JK, Fontana RJ, Kalbfleisch JD, Marrero JA, Conjeevaram HS, et al. A simple non-invasive index can predict both significant fibrosis and cirrhosis in patients with chronic hepatitis C. Hepatology. 2003;38(2):518-26.

9. Sterling RK, Lissen E, Clumeck N, Sola R, Correa MC, Montaner J, et al. Development of a simple non-invasive index to predict significant fibrosis in patients with HIV/HCV coinfection. Hepatology. 2006;43(6):1317-25.

10. Imbert-Bismut F, Ratziu V, Pieroni L, Charlotte F, Benhamou Y, Poynard T. Biochemical markers of liver fibrosis in patients with hepatitis C virus infection: a prospective study. Lancet. 2001;357(9262):1069-75.

11. Ratziu V, Giral P, Charlotte F, Bruckert E, Thibault V, Theodorou I, et al. Liver fibrosis in overweight patients. Gastroenterology. 2000;118(6):1117-23.

12. Angulo P, Hui JM, Marchesini G, Bugianesi E, George J, Farrell GC, et al. The NAFLD fibrosis score: a non-invasive system that identifies liver fibrosis in patients with NAFLD. Hepatology. 2007;45(4):846-54.

13. Lemoine M, Shimakawa Y, Nayagam S, Khalil M, Suso P, Lloyd J, et al. The gamma-glutamyl transpeptidase to platelet ratio (GPR) predicts significant liver fibrosis and cirrhosis in patients with chronic HBV infection in West Africa. Gut. 2016;65(8):1369-76.

14. Kleiner DE, Brunt EM, Van Natta M, Behling C, Contos MJ, Cummings OW, et al. Design and validation of a histological scoring system for nonalcoholic fatty liver disease. Hepatology. 2005;41(6):1313-21.

15. Brunt EM, Janney CG, Di Bisceglie AM, Neuschwander-Tetri BA, Bacon BR. Nonalcoholic steatohepatitis: a proposal for grading and staging the histological lesions. Am J Gastroenterol. 1999;94(9):2467-74.

16. Brunt EM, Kleiner DE, Wilson LA, Belt P, Neuschwander-Tetri BA. Nonalcoholic fatty liver disease (NAFLD) activity score and the histopathologic diagnosis in NAFLD: distinct clinicopathologic meanings. Hepatology. 2011;53(3):810-20.

17. Guo Z, Li M, Han B, Qi X. Association of non-alcoholic fatty liver disease with thyroid function: A systematic review and meta-analysis. Dig Liver Dis. 2018;50(11):1153-62.

18. Kim D, Kim W, Joo SK, Bae JM, Kim JH, Ahmed A. Subclinical Hypothyroidism and Low-Normal Thyroid Function Are Associated With Nonalcoholic Steatohepatitis and Fibrosis. Clin Gastroenterol Hepatol. 2018;16(1):123-31.e1.

19. Silva NdOe, Ronsoni MF, Colombo BdS, Corrêa CG, Hatanaka SA, Canalli MHBdS, et al. Clinical and laboratory characteristics of patients with thyroid diseases with and without alanine aminotransferase levels above the upper tertile Cross-sectional analytical study. Archives of Endocrinology and Metabolism. 2016;60:101-7.

20. Guha IN, Parkes J, Roderick PR, Harris S, Rosenberg WM. Non-invasive markers associated with liver fibrosis in non-alcoholic fatty liver disease. Gut. 2006;55(11):1650-60.

21. Alkhouri N, McCullough AJ. Non-invasive Diagnosis of NASH and Liver Fibrosis Within the Spectrum of NAFLD. Gastroenterol Hepatol (N Y). 2012;8(10):661-8.

22. McPherson S, Stewart SF, Henderson E, Burt AD, Day CP. Simple non-invasive fibrosis scoring systems can reliably exclude advanced fibrosis in patients with non-alcoholic fatty liver disease. Gut. 2010;59(9):1265-9.

23. Goh GB-B, Pagadala MR, Dasarathy J, Unalp-Arida A, Pai RK, Yerian L, et al. Age impacts ability of aspartate-alanine aminotransferase ratio to predict advanced fibrosis in nonalcoholic Fatty liver disease. Dig Dis Sci. 2015;60(6):1825-31.

24. Petta S, Macaluso FS, Barcellona MR, Camma C, Cabibi D, Di Marco V, et al. Serum gamma-glutamyl transferase levels, insulin resistance and liver fibrosis in patients with chronic liver diseases. PLoS One. 2012;7(12):e51165.

25. Shukla A, Kapileswar S, Gogtay N, Joshi A, Dhore P, Shah C, et al. Simple biochemical parameters and a novel score correlate with absence of fibrosis in patients with nonalcoholic fatty liver disease. Indian J Gastroenterol. 2015;34(4):281-5.

26. Li Q, Lu C, Li W, Huang Y, Chen L. The gamma-glutamyl transpeptidase to platelet ratio for non-invasive assessment of liver fibrosis in patients with chronic hepatitis B and non-alcoholic fatty liver disease. Oncotarget. 2017;8(17):28641-9.

27. Schiavon LL, Narciso-Schiavon JL, Ferraz MLG, Silva AEB, Carvalho-Filho RJ. The gamma-glutamyl transpeptidase to platelet ratio (GPR) in HBV patients: just adding up? (14683288 (Electronic).

28. Gómez de la Cuesta S, Aller de la Fuente R, Tafur Sánchez C, Izaola O, García Sánchez C, Mora N, et al. Factores analíticos, antropométricos y dietéticos asociados al desarrollo de fibrosis en pacientes con enfermedad por hígado graso no alcohólico. Rev esp enferm dig. 2018;110(5):292-8.

29. Xiao G, Zhu S, Xiao X, Yan L, Yang J, Wu G. Comparison of laboratory tests, ultrasound, or magnetic resonance elastography to detect fibrosis in patients with nonalcoholic fatty liver disease: A meta-analysis. Hepatology. 2017;66(5):1486-501.

48 Acta Gastroenterol Latinoam 2023;53(1):39-48
Advanced Fibrosis in Nonalcoholic Fatty Liver Disease Marina Jarschel de Souza et al.

Pediátrica (SLAGHNP)

Carlos Alberto Velasco-Benitez1 · Steven Koremblun Murillo1 · Claudia Jimena OrtízRivera1 · Edgar Játiva Mariño2 · Fátima Azereth Reynoso Zarzosa3 · Mariana Xail

Espriu Ramírez4 · Jorge Alberto Macías-Flores5 · Roberto Arturo Zablah Córdova6

Ricardo A. Chanis Águila7 · Trini Fragoso Arbelo8 · Milton Danilo Mejía Castro9

Yunuen Rivera Suazo10

1 Departamento de Pediatría. Universidad del Valle. Cali, Colombia.

2 Universidad Central del Ecuador. Quito. Ecuador.

3 Hospital Universitario de Puebla, BUAP. Puebla, México.

4 Departamento de Pediatría, Hospital General de Cancún, Dr. Jesús Kumate Rodríguez. Cancún, Quintana Roo, México.

5 Hospital Infantil de Especialidades de Chihuahua, Chihuahua, México.

6 Clínica de Gastroenterología Pediátrica Dr. Roberto Zablah, San Salvador, El Salvador.

7 Hospital del Niño. Dr. José Renán Esquivel, Ciudad de Panamá, Panamá.

8 Hospital Pediátrico Universitario Borrás-Marfan. Facultad de Medicina Manuel Fajardo. La Habana, Cuba.

9 Centro de Gastroenterología, Endoscopia y Nutrición Pediátrica. Managua, Nicaragua.

10 Unidad de Especialidades Médicas, Departamento de Pediatría. Ciudad de México, México.

Acta Gastroenterol Latinoam 2023;53(1):49-58

Recibido: 23/11/2022 / Aceptado: 26/02/2023 / Publicado online: 30/03/2023 / https://doi.org/ 10.52787/agl.v53i1.280

Resumen

Introducción. La prevalencia de regurgitación infantil en niños latinoamericanos está entre el 8% y el 9,4% según los criterios de Roma III. Objetivo. Determinar la prevalencia de regurgitación infantil en niños latinoamericanos

Correspondencia: Carlos Alberto Velasco-Benítez Correo electrónico: carlos.velasco@correounivalle.edu.co

según los criterios de Roma IV y sus posibles asociaciones. Materiales y métodos. Estudio observacional, descriptivo, de prevalencia, realizado en siete países latinoamericanos. Se utilizó la base de datos de la Functional International Digestive Epidemiological Research Survey para seleccionar la muestra. Se incluyeron en el estudio niños menores de 12 meses que fueron diagnosticados con regurgitación infantil mediante el Cuestionario de Síntomas Gastrointestinales Pediátricos Roma IV. Resultados. Se analizaron 1802 lactantes (80,7% de América del Sur; 6,7±3,8 meses de edad). Se diagnosticó regurgitación infantil en 6,8% (52,5% mujeres; 39,8% mestizos; 46,7% colombianos). La edad pico fue 6 meses de vida. Hubo mayor probabilidad de presentar regurgitación infantil en los lactantes entre 1 y 6 meses de edad, de raza indígena, de Centroamérica, nacidos por cesárea, prematuros, atendidos en instituciones públicas, por

49 Acta Gastroenterol Latinoam 2023;53(1):49-58 ♦MANUSCRITO
ORIGINAL
Prevalencia de regurgitación infantil: experiencia del grupo de trabajo en trastornos del eje
cerebro-intestino de la Sociedad Latinoamericana de Gastroenterología, Hepatología y Nutrición

gastroenterólogos pediatras y durante la pandemia del Covid-19. Hubo menor probabilidad de presentar regurgitación infantil en los lactantes con alimentación complementaria. Conclusión. La regurgitación infantil es frecuente en lactantes latinoamericanos. La prevalencia es menor comparativamente a lo descripto en otros países, con factores de riesgo como raza, origen, cesárea, prematuridad, sitio y nivel de atención, y pandemia de COVID-19. El factor protector es la alimentación complementaria.

Palabras claves. Regurgitación infantil, prevalencia, Roma IV, factores de riesgo.

Prevalence of Infant Regurgitation: Experience of the Working Group on Disorders of Gut-Brain Interaction of the Latin American Society of Pediatric Gastroenterology, Hepatology and Nutrition (LASPGHAN)

Summary

Introduction. The prevalence of infant regurgitation in Latin American children is between 8.0% and 9.4% according to the Rome III criteria. Objective. To determine the prevalence of infant regurgitation in Latin American children according to the Rome IV criteria and its possible associations. Materials and methods. A descriptive observational study of prevalence type was carried out in seven Latin American countries. The Functional International Digestive Epidemiological Research Survey database was used to select the sample. Children under 12 months of age who were diagnosed with infant regurgitation using the Pediatric Rome IV Gastrointestinal Symptoms Questionnaire were included in the study. Results. 1802 infants (80.7% from South America, 6.7 ± 3.8 months of age) were analyzed. Infant regurgitation was diagnosed in 6.8% (52.5% women; 39.8% mixed race; 46.7% Colombians); peak age: 6 months. There was a greater chance to present infant regurgitation in infants between 1 and 6 months of age, of indigenous race, from Central America, born by C- section, premature, treated in a public institution, by a pediatric gastroenterologist and during the Covid-19 pandemic. There was a lower chance to present infant regurgitation in infants with complementary feeding. Conclusion. Infant regurgitation is frequent in Latin American infants, its prevalence is lower compared to that described in other countries, with risk factors such as race, origin, C- section, prematurity, site and level of care, and the Covid-19 pandemic. The protective factor is complementary feeding.

Keywords. Infant regurgitation, prevalence, Rome IV, risk factor.

Abreviaturas

RIV: Roma IV.

RI: Regurgitación infantil.

FINDERS: Functional International Digestive Epidemiological Research Survey.

QPGS-IV: Cuestionario para Síntomas Gastrointestinales

Pediátricos Roma IV.

TECI: Trastornos del eje cerebro-intestino.

Introducción

Según los criterios de Roma IV (RIV), la regurgitación infantil (RI) se define como el lactante que, entre las 3 semanas y los 12 meses de edad, presenta regurgitación 2 o más veces al día durante un mínimo de 3 semanas; en ausencia de arcadas, hematemesis, aspiración, apnea, retraso en el crecimiento, dificultades para alimentarse o deglutir, o posturas anormales.1 La prevalencia mundial ha sido reportada en el 8%.2 Según los criterios de Roma, en Latinoamérica, la prevalencia está entre el 8% y el 9,4%.3 - 4 Se reportan factores de riesgo como padres separados/ divorciados, hijo único y primogénito. La prevalencia y los factores de riesgo de RI en lactantes latinoamericanos según los RIV no han sido descriptos.

El objetivo del presente estudio es determinar la prevalencia de RI y sus posibles asociaciones en lactantes menores de 12 meses de edad, en 7 países latinoamericanos según los RIV.

Materiales y Métodos

Estudio descriptivo, observacional, de prevalencia realizado en 2 países sudamericanos (Colombia y Ecuador) y en 5 países centroamericanos (México, Panamá, El Salvador, Cuba y Nicaragua). De los 2766 niños menores de 4 años registrados en la base de datos de la FINDERS (Functional International Digestive Epidemiological Research Survey) entre el 17 de abril de 2018 y el 1 de junio de 2020, fueron incluidos 1885 lactantes menores de 12 meses de edad cuyos cuidadores respondieron el Cuestionario para Síntomas Gastrointestinales Pediátricos Roma IV (QPGS-IV) para identificar algún trastorno del eje cerebro intestino (TECI). Fueron excluidos 83 lactantes por presentar enfermedades orgánicas como alergia a la proteína de leche de vaca, enfermedad por reflujo gastroesofágico, intolerancia a la lactosa, síndro-

50 Acta Gastroenterol Latinoam 2023;53(1):49-58
Regurgitación infantil: experiencia SLAGHNP Carlos Alberto Velasco-Benítez y col.

me de Down, malformaciones anorrectales y esofágicas, enfermedades neurológicas, cardíacas, renales y respiratorias. Finalmente, fueron analizados 1802 lactantes (Figura 1).

Se tuvieron en cuenta variables sociodemográficas como edad, sexo, raza y origen; clínicas como cesárea y prematuridad; familiares como hijo único, primogénito,

convivencia con padres y TECI intrafamiliares; nutricionales como lactancia materna, biberón, complementaria y derivados lácteos; y asistenciales como tipo de institución, tipo de consulta y médico tratante. Los padres o cuidadores de los lactantes registrados en la base de datos de la FINDERS firmaron previamente un consentimiento informado.

2766

< 4 años de la base de datos FINDERS (Func onal Interna onal Diges ve Epidemiological Research Survey)

1885

< 12 meses invitados a par cipar

83 excluidos

APLV, ERGE, Sx convulsivo, Cardíacos, IVU, DBP, Sx Down, Intolerancia a la lactosa, Malformaciones anorectales y esofágicas

El análisis estadístico realizado con el software Stata 16 (StataCorp, Texas, USA) incluyó medidas de tendencia central como porcentajes, promedios y desviaciones estándar; análisis univariado mediante la prueba de chi cuadrado (X2) y la t de student, y análisis bivariado por medio del cálculo del OR y sus intervalos de confianza al 95%. El valor p < 0,05 es significativo. El estudio fue aprobado por el Comité de Ética del Hospital Universitario del Valle “Evaristo García” de Cali, Colombia (Código 023-2019), el Comité de Ética en Investigación Clínica de la Unidad de Especialidades Médicas de la Ciudad de México, México (Folio 011-2019) y la Comisión de Ética del Consejo Científico del Hospital Pediátrico Universitario Borrás-Marfán de La Habana, Cuba.

1802 incluidos en el estudio

881 > 12 meses

Resultados

Características generales. En la Tabla 1 se describen las principales características de los 1802 lactantes menores de 12 meses incluidos (6,7+/-3,8 meses; 52% lactantes entre los 7 y 12 meses de edad; 52,9% masculinos; 57,7% mestizos; 80,7% sudamericanos).

Prevalencia. De los 1802 lactantes latinoamericanos menores de 12 meses de edad analizados, 122 (6,8%) presentaron RI: entre los 1 y 6 meses de vida, 75 niños (8,7%) y entre los 7 y 12 meses de edad, 47 niños (5%). La edad pico de presentación fue de 6 meses de edad (p = 0,0003) (Tabla 2) (Figura 2).

51 Acta Gastroenterol Latinoam 2023;53(1):49-58
Regurgitación infantil: experiencia SLAGHNP Carlos Alberto Velasco-Benítez y col. APLV: Alergia a la proteína de la leche de vaca. ERGE: Enfermedad por reflujo gastroesofágico. Sx: Síndrome. IVU: Infección de las vías urinarias. DBP: Displasia broncopulmonar. Figura 1. Diagrama de flujo de pacientes

Tabla 1. Características generales de lactantes latinoamericanos N=1802

52 Acta Gastroenterol Latinoam 2023;53(1):49-58
Regurgitación infantil: experiencia SLAGHNP Carlos Alberto Velasco-Benítez y col.
Latam Sudamérica Centroamérica Colombia Ecuador México El Salvador Panamá Cuba Nicaragua N=1802 n=1455 n=347 n=966 n=489 n=112 n=88 n=70 n=53 n=24 Grupos de edad (meses) 1-6 864 (48,0) 654 (45,0) 210 (60,5) 461 (47,7) 193 (39,5) 76 (67,9) 53 (60,2) 36 (51,4) 27 (50,9) 18 (75,0) 7-12 938 (52,0) 801 (55,0) 137 (39,5) 505 (52,3) 296 (60,5) 36 (32,1) 35 (39,8) 34 (48,6) 26 (49,1) 6 (25,0) Variables sociodemográficas Sexo Femenino 848 (47,1) 692 (47,6) 156 (45,0) 427 (44,2) 265 (54,2) 52 (46,4) 42 (47,7) 30 (42,9) 26 (49,1) 6 (25,0) Masculino 954 (52,9) 763 (52,4) 191 (55,0) 539 (55,8) 224 (45,8) 60 (53,6) 46 (52,3) 40 (57,1) 27 (50,9) 18 (75,0) Raza (n=1590) Mestiza 917 (57,7) 760 (61,1) 157 (45,2) 500 (51,8) 260 (93,9) 96 (85,7) 3 (3,4) 29 (41,4) 13 (24,5) 16 (66,7) Blanca 403 (25,4) 235 (18,9) 168 (48,4) 232 (24,0) 3 (1,1) 12 (10,7) 85 (96,6) 25 (35,7) 38 (71,7) 8 (33,3) Afrodescendiente 175 (11,0) 171 (13,8) 4 (1,2) 159 (16,5) 12 (4,3) 0 (0,0) 0 (0,0) 2 (2,9) 2 (3,8) 0 (0,0) Indígena 95 (6,0) 77 (6,2) 18 (5,2) 75 (7,8) 2 (0,7) 4 (3,6) 0 (0,0) 14 (20,0) 0 (0,0) 0 (0,0) Cesárea (n=1558) No 786 (50,5) 653 (52,5) 133 (42,2) 466 (48,2) 187 (67,5) 24 (30,0) 31 (35,2) 27 (38,6) 40 (75,5) 11 (45,8) Sí 772 (49,5) 590 (47,5) 182 (57,8) 500 (51,8) 90 (32,5) 56 (70,0) 57 (64,8) 43 (61,4) 13 (24,5) 13 (54,2) Variables clínicas Prematuridad (n=1545) No 1354 (87,6) 1080 (87,8) 274 (87,0) 831 (86,0) 249 (94,3) 60 (75,0) 79 (89,8) 63 (90,0) 49 (92,5) 23 (95,8) Sí 191 (12,4) 150 (12,2) 41 (13,0) 135 (14,0) 15 (5,7) 20 (25,0) 9 (10,2) 7 (10,0) 4 (7,5) 1 (4,2) Pandemia del Covid-19 No 1729 (96,0) 1448 (99,5) 281 (80,9) 959 (99,3) 489 (100,0) 101 (90,2) 88 (100,0) 70 (100,0) 0 (0,0) 22 (91,7) Sí 73 (4,0) 7 (0,5) 66 (19,1) 7 (0,7) 0 (0,0) 11 (9,8) 0 (0,0) 0 (0,0) 53 (100,0) 2 (8,3) Hijo único No 691 (53,5) 551 (56,4) 140 (44,4) 543 (56,3) 8 (66,7) 31 (38,8) 36 (40,9) 41 (58,6) 25 (47,2) 7 (29,2) Sí 601 (46,5) 426 (43,6) 175 (55,6) 422 (43,7) 4 (33,3) 49 (61,2) 52 (59,1) 29 (41,4) 28 (52,8) 17 (70,8) Variables familiares Primogénito No 671 (51,9) 536 (54,9) 135 (42,9) 529 (54,8) 7 (58,3) 27 (33,8) 36 (40,9) 40 (57,1) 25 (47,2) 7 (29,2) Sí 621 (48,1) 441 (45,1) 180 (57,1) 436 (45,2) 5 (41,7) 53 (66,2) 52 (59,1) 30 (42,9) 28 (52,8) 17 (70,8) Convivencia con padres/cuidadores (n=1175) No 1002 (85,3) 710 (82,6) 292 (92,7) 710 (82,6) n/a 72 (90,0) 83 (94,3) 67 (95,7) 47 (88,7) 23 (95,8) Sí 173 (14,7) 150 (17,4) 23 (7,3) 150 (17,4) 8 (10,0) 5 (5,7) 3 (4,3) 6 (11,3) 1 (4,2) TECI intrafamiliares (n=1173) No 1150 (98,0) 852 (99,3) 298 (94,6) 852 (99,3) n/a 78 (97,5) 85 (96,6) 70 (100,0) 51 (96,2) 14 (58,3) Sí 23 (2,0) 6 (0,7) 17 (5,4) 6 (0,7) 2 (2,5) 3 (3,4) 0 (0,0) 2 (3,8) 10 (41,7)

Regurgitación infantil: experiencia SLAGHNP Carlos Alberto Velasco-Benítez y col.

53 Acta Gastroenterol Latinoam 2023;53(1):49-58
Lactancia materna (n=1106) No 396 (35,8) 298 (35,1) 98 (38,3) 298 (35,1) n/a 28 (36,8) 34 (39,5) 27 (38,6) n/a 9 (37,5) Sí 710 (64,2) 552 (64,9) 158 (61,7) 552 (64,9) 48 (63,2) 52 (60,5) 43 (61,4) 15 (62,5) Variables nutricionales Biberón (n=1211) No 550 (45,4) 485 (50,6) 65 (25,7) 485 (50,6) n/a 26 (34,7) 14 (16,5) 17 (24,6) n/a 8 (33,3) Sí 661 (54,6) 473 (49,4) 188 (74,3) 473 (49,4) 49 (65,3) 71 (83,5) 52 (75,4) 16 (66,7) Complementaria (n=1187) No 427 (36,0) 306 (32,4) 121 (50,0 306 (32,4) n/a 36 (52,9) 47 (56,6) 26 (38,2) n/a 12 (52,2) Sí 760 (64,0) 639 (67,6) 121 (50,0) 639 (67,6) 32 (47,1) 36 (43,4) 42 (61,8) 11 (47,8) Tipo de institución (n=482) Pública 256 (53,1) 135 (100,0) 121 (34,9) 135 (100,0) n/a 37 (33,0) 0 (0,0) 31 (44,3) 53 (100,0) 0 (0,0) Privada 226 (46,9) 0 (0,0) 226 (65,1) 0 (0,0) 75 (67,0) 88 (100,0) 39 (55,7) 0 (0,0) 24 (100,0) Variables asistenciales Tipo de consulta (n=429) Primera vez 280 (65,3) 63 (46,7) 217 (73,8) 63 (46,7) n/a 83 (74,1) 53 (60,2) 70 (100,0) n/a 11 (45,8) Control 149 (34,7) 72 (53,3) 77 (26,2) 72 (53,3) 29 (25,9) 35 (39,8) 0 (0,0) 13 (54,2) Profesional de la salud (n=1455) Pediatra 1320 (73,3) 1320 (90,7) 0 (0,0) 831 (86,0) 489 (100,0) 0 (0,0) 0 (0,0) 0 (0,0) 0 (0,0) 0 (0,0) Gastroenterólogo pediatra 482 (26,7) 135 (9,3) 347 (100,0) 135 (14,0) 0 (0,0) 112 (100,0) 88 (100,0) 70 (100,0) 53 (100,0) 24 (100,0) Latam Suramérica Centroamérica Colombia Ecuador México El Salvador Panamá Cuba Nicaragua N=1802 n=1455 n=347 n=966 n=489 n=112 n=88 n=70 n=53 n=24 Derivados lácteos (n=1168) No 750 (64,2) 574 (61,0) 176 (77,5) 574 (61,0) n/a 54 (76,1) 50 (74,6) 51 (78,5) n/a 21 (87,5) Sí 418 (35,8) 367 (39,0) 51 (22,5) 367 (39,0) 17 (23,9) 17 (25,4) 14 (21,5) 3 (12,5)
Edad n, % OR IC95% p (meses) 1 10 (5,1) 0,71 0,32-1,40 0,3248 2 8 (5,3) 0,76 0,31-1,59 0,4644 3 12 (8,3) 1,27 0,62-2,40 0,4364 4 16 (10,3) 1,66 0,89-2,92 0,0698 5 11 (11,6) 1,88 0,87-3,67 0,0553 6 18 (14,6) 2,59 1,42-4,50 0,0003 7 6 (5,5) 0,79 0,27-1,83 0,5874 8 7 (5,0) 0,71 0,27-1,56 0,3969 9 6 (4,7) 0,65 0,23-1,51 0,3201 10 4 (3,8) 0,52 0,13-1,41 0,2056 11 7 (4,7) 0,66 0,25-1,45 0,3024 12 17 (5,5) 0,77 0,42-1,32 0,3452
Tabla 2. Regurgitación infantil según edad en lactantes latinoamericanos (n=122)

Figura 2. Regurgitación infantil en lactantes latinoamericanos según edad

La RI fue el segundo TECI más frecuente luego del estreñimiento funcional que se presentó en el 7,6%. El 2,2% (n=40) de los lactantes presentaron coexistencia de RI: en el 2% (n=37) hasta 2 TECI y en el 0,2% (n=3) hasta 3 TECI. Las coexistencias más frecuentes fueron la RI junto con vómito cíclico (n = 13; 0,7%), la RI junto con cólico infantil (n=12; 0,7%) y la RI junto con cólico y con disquecia (n=2; 0,1%). El 57,5% de los lactantes con RI presentaron este síntoma de 3 a 10 veces al día. Los lactantes que recibían leche materna presentaron RI con más frecuencia que los que se alimentaban con fórmulas infantiles estándar (31,1% vs. 8,2% p = 0,000) o con fórmulas infantiles especiales (31,1% vs. 9,8% p = 0,000).

Factores de riesgo. Hubo mayor probabilidad de presentar RI en los lactantes entre 1 y 6 meses de edad (OR = 1,80 IC95% = 1,21-2,68 p = 0,0019), de raza indígena (OR = 2,55 IC95% = 1,29-4,73 p = 0,0015), de Centroamérica (OR = 2,46 IC95% = 1,62-3,69 p = 0,0000), nacidos por cesárea (OR = 1,74 IC95% = 1,14-2,68

p = 0,0067), prematuros (OR = 1,96 IC95% = 1,13-3,27 p = 0,0065), atendidos en instituciones públicas (OR = 1,87 IC95% = 0,96-3,76 p = 0,0473), atendidos por gastroenterólogos pediatras (OR = 1,86 IC95% = 1,242,76 p = 0,0011) y en pandemia de Covid-19 (OR = 6,50 IC95% = 3,57-11,48 p = 0,0000). Asimismo, hubo menor probabilidad de presentar RI en los lactantes con alimentación complementaria (OR = 0,58 IC95% = 0,350,94 p = 0,0201) (Tabla 3).

Discusión

La prevalencia de RI encontrada en latinoamérica, según los Criterios de Roma IV (6,8%), es inferior a la descrita a nivel mundial; que alcanza el 27,5%.2, 5, 14 Asimismo, es inferior a la reportada en estudios del norte y sur de América según los Criterios de Roma III (7,5% - 9,4%).3-4, 15 Sin embargo, Muhardi y col.,5 en una revisión narrativa, describen que la prevalencia de RI es similar al utilizar bien sea los criterios diagnósticos de Roma III o Roma IV. Al igual que en el metaanálisis de Velasco-

54 Acta Gastroenterol Latinoam 2023;53(1):49-58 Regurgitación
infantil: experiencia SLAGHNP Carlos Alberto Velasco-Benítez y col.
Meses p = 0,0003 OR 123456789101112 2.00 1.00 0,00 0.50 1.50 2.50

Tabla 3. Posibles asociaciones entre regurgitación y variables en lactantes latinoamericanos N=1802

Benítez y col.,2 la RI fue el segundo TECI más frecuente después del estreñimiento funcional. La coexistencia de RI junto con cólico ya ha sido descripta;6-7, 9, 14 al igual que la de RI junto con disquecia6, 9 y la de RI junto con cólico y disquecia.6, 9 Otras combinaciones descriptas son RI y Síndrome de Rumiación del Lactante8 y RI junto con cólico, disquecia y estreñimiento (4 TECI).10 Esta coexistencia en lactantes latinoamericanos, según los Criterios

de Roma III, ya había sido descripta entre un 3,6%3 y 7%.4 La variabilidad en estas prevalencias involucra factores genéticos, nutricionales, ambientales, psicosociales y socioeconómicos. Se debe, entre otros factores, a la versión del cuestionario utilizado, al tipo de población estudiada, a la subjetividad de las familias,12 a la objetividad del profesional de la salud hacia la presencia de regurgitación,6 a las fluctuaciones propias en el tiempo de los

55 Acta Gastroenterol Latinoam 2023;53(1):49-58
Regurgitación infantil: experiencia SLAGHNP Carlos Alberto Velasco-Benítez y col.
Variables sociodemográficos Edad 7-12 meses 47 (38,5) 891 (53,0) 1,00 1-6 meses 75 (61,5) 789 (47,0) 1,80 1,21-2,68 0,0019 Sexo Femenino 64 (52,5) 784 (46,7) 1,00 Masculino 58 (47,5) 896 (53,3) 0,79 0,53-1,16 0,2158 Raza Blanca 39 (32,0) 364 (21,7) 1,69 1,10-2,56 0,0084 Indígena 14 (11,5) 81 (4,8) 2,55 1,29-4,73 0,0015 Origen centroamericano No 79 (64,8) 1376 (81,9) 1,00 Sí 43 (35,2) 304 (18,1) 2,46 1,62-3,69 0,0000 Variables clínicas Cesárea 66 (62,3) 706 (48,6) 1,74 1,14-2,68 0,0067 Prematuridad 22 (20,8) 169 (11,7) 1,96 1,13-3,27 0,0065 Variables familiares Hijo único 38 (38,8) 563 (47,2) 0,70 0,45-1,10 0,1100 Primogénito 40 (40,8) 581 (48,7) 0,72 0,46-1,12 0,1352 Convivencia con padres 14 (14,4) 159 (14,8) 0,97 0,49-1,78 0,9328 TDF intrafamiliares 1 (1,0) 22 (2,0) 0,49 0,01-3,15 0,4984 Variables nutricionales Lactancia materna 54 (69,2) 656 (63,8) 1,27 0,76-2,19 0,3360 Biberón 49 (62,0) 612 (54,1) 1,38 0,84-2,29 0,1694 Complementaria 41 (51,9) 719 (64,9) 0,58 0,35-0,94 0,0201 Derivados lácteos 27 (37,0) 391 (35,7) 1,05 0,62-1,76 0,8254 Variables asistenciales Institución pública 32 (66,7) 224 (51,6) 1,87 0,96-3,76 0,0473 Primera vez 22 (75,9) 258 (64,5) 1,72 0,69-4,90 0,2146 Gastroenterólogo pediatra 48 (39,3) 434 (25,8) 1,86 1,24-2,76 0,0011 Pandemia Covid-19 No 101 (82,8) 1628 (96,9) 1,00 Sí 21 (17,2) 52 (3,1) 6,50 3,57-11,48 0,0000 Regurgitación N=1802 Si No OR IC95% p 122 (6,8) 1680 (93,2)

TECI, a las costumbres culturales y a cambios climáticos o estacionales. Sin embargo, Alonso-Bermejo y col.11 no encuentran diferencias significativas en la variación estacional, ni en el total ni en los grupos por edad.

Encontramos más RI en los primeros 6 meses de vida, al igual que lo descripto por autores brasileros9, 13 y asiáticos,8, 14 pero diferente a lo reportado en Vietnam,7 cuya prevalencia de RI fue mayor entre los 6 y 12 meses de edad.7 El pico de edad para presentar RI en nuestro estudio fue 6 meses de edad. Chew y col.8 encontraron una mayor probabilidad de presentar RI en los primeros tres meses de edad (OR = 5,80 IC95% = 1,96-17,1 p = 0,002) y Beser y col.6 describieron un pico entre los 2-4 meses para presentar algún TECI. La reducción en la frecuencia de RI a medida que el niño crece puede ser debido a un esfínter esofágico inferior más maduro funcionalmente,16 hipótesis acorde con lo demostrado por Hegar y col.17 quienes encontraron una disminución de RI de un 80% en el primer mes de vida a un 10% al año de edad.

En nuestro estudio, más de la mitad de los lactantes presentaron RI de 3 a 10 veces al día por al menos 21 días. Treinta y cuatro de nuestros lactantes (27,9%) no reunieron los Criterios de Roma IV para RI; pues presentaron 1 o más signos de alarma como arcadas, hematemesis, aspiración, apnea, retraso en el crecimiento, dificultades para alimentarse o deglutir, o posturas anormales. De Morais y col.9 describieron un 19,9% de lactantes en estas condiciones. Beser y col.6 encontraron que solo un 31% de los niños consultaron por síntomas sospechosos de TECI y que el diagnóstico de TECI es mayor cuando son valorados por un pediatra, por lo que sugieren que en todo niño, independientemente del motivo de su presentación, debe descartarse la presencia de TECI.

Nuestros hallazgos demuestran que los lactantes que recibían lactancia materna presentaron más RI que los alimentados con fórmulas infantiles. Estos datos son contradictorios a los descritos por Chen y col.18 quienes describieron que cualquier combinación de alimentación con fórmula infantil fue un riesgo para RI. En el mismo sentido, Huang y col.14 concluyen que la lactancia materna exclusiva durante 4 a 6 meses reduciría el riesgo para presentar RI en un 99% (OR = 0,01 IC95 = < 0,001-0,09 p = < 0,001). Nuestros hallazgos son similares a lo relatado por Albadi y col.19 quienes identificaron que el uso de fórmula infantil espesada o fórmula infantil especial extensamente hidrolizada reduciría el número de regurgitaciones por día (rango medio: -1,2 a -7,1; p < 0,05). Asimismo, Dupont y col.20 determinaron que las fórmulas infantiles espesadas reducen la RI, principalmente las que contienen mayor cantidad de pectina y menor contenido de almidón.

Para nosotros, la prematuridad fue un factor de riesgo para presentar RI, igual a lo reportado por Salvatore y col.21 quienes además encontraron que el uso de antibióticos en el primer año de vida también fue un factor de riesgo para presentar TECI. Huang, y col.14 reportaron una asociación entre la presencia de RI y el género masculino (OR = 1,38 IC95 = 1,04-1,82 p = 0,024), la procedencia de zonas rurales (OR = 1,44 IC95% = 1,08-1,93 p = 0,014) y con el inicio temprano de fórmula infantil en el primer mes de vida. Para nosotros ser indígena fue un factor de riesgo para presentar RI. El estudio colombiano de Moreno y col.22 sobre seguridad alimentaria en madres indígenas, reportó que tan solo un 39,4% tienen un acceso fácil individual, familiar y global a los alimentos diarios requeridos, sugiriendo malas prácticas alimentarias en esta población, que podrían explicar una mayor presencia de RI en este grupo étnico. Los gastroenterólogos pediatras, comparativamente a los pediatras de nuestro estudio, realizaron más diagnósticos de RI. La identificación temprana y oportuna de RI por parte de los profesionales de la salud conlleva un menor número de visitas médicas innecesarias, menos estancias hospitalarias y menos días laborales perdidos para los cuidadores, con la consecuente mejor calidad de vida del niño y de sus familias.12 Los gastroenterólogos pediatras, que siguen las recomendaciones de las Guías de Práctica Clínica de la Sociedad Norteamericana de Gastroenterología, Hepatología y Nutrición Pediátrica, están más atentos a la búsqueda de signos y síntomas de Enfermedad por Reflujo Gastroesofágico, lo que facilita su identificación temprana.23

Durante la época de pandemia de Covid-19, encontramos mayor probabilidad de detectar RI. Nuestros resultados son acordes con lo reportado por Farello y col.24 quienes en niños italianos entre los 10 y 17 años de edad reportaron una mayor prevalencia de TECI durante la pandemia de Covid-19. No encontramos estudios realizados en lactantes y TECI.

Uno de los puntos fuertes de nuestro estudio es que fue el primero en incluir una importante cantidad de países latinoamericanos, además de describir las principales posibles asociaciones de RI y de analizar el periodo de la pandemia de Covid-19. Dentro de las limitaciones del estudio consideramos que el tamaño de la muestra no representa íntegramente a toda Latinoamérica, por lo tanto, los resultados no se podrían extrapolar de manera global. Igualmente, a pesar de que el QPGS-IV para la identificación para presentar algún TECI tiene una validez adecuada que permite su utilización, una historia clínica y examen físico del lactante ayudarían a un mejor diagnóstico de esta entidad.

56 Acta Gastroenterol Latinoam 2023;53(1):49-58
Regurgitación infantil: experiencia SLAGHNP Carlos Alberto Velasco-Benítez y col.

Conclusión

La RI es frecuente en lactantes latinoamericanos, su prevalencia es menor comparativamente a lo descripto en otros países. Presenta factores de riesgo como raza, origen, cesárea, prematuridad, sitio y nivel de atención, y pandemia de Covid-19. La alimentación complementaria es un factor protector.

Consentimiento para la publicación. Se obtuvo el consentimiento informado por escrito del paciente o su padre, tutor o familiar, para la publicación de los datos y las imágenes clínicas en beneficio de la ciencia. La copia del formulario de consentimiento se encuentra disponible para los editores de esta revista.

Propiedad intelectual. Los autores declaran que los datos, las tablas y las figuras presentes en el manuscrito son originales y se realizaron en sus instituciones pertenecientes.

Financiamiento. Los autores declaran que no hubo fuentes de financiación externas.

Conflicto de interés. Los autores declaran no tener conflictos de interés en relación con este artículo.

Condiciones para compartir los datos. Los datos estarán disponibles inmediatamente después de la publicación sin fecha de finalización y podrán ser obtenidos por investigadores que aporten una propuesta metodológicamente sólida para cualquier propósito de análisis, para lo cual deben dirigirse al Departamento de Pediatría de la Universidad del Valle de Cali, Colombia, al correo electrónico departamento.pediatria@correounivalle.edu.co

Referencias

1. Benninga MA, Nurko S, Faure C, Hyman PE, Roberts ISJ, Schechter NL, Nurko S. Childhood Functional Gastrointestinal Disorders: Neonate/Toddler. Gastroenterology 2016;150(6):1443-1455. DOI: 10.1053/j.gastro.2016.02.016

2. Velasco-Benitez CA, Collazos-Saa LI, García-Perdomo HA. Functional Gastrointestinal Disorders in Neonates and Toddlers According to the Rome IV Criteria: A Systematic Review and Meta-Analysis. Pediatr Gastroenterol Hepatol Nutr 2022;25(5):376386. DOI.org/10.5223/pghn.2022.25.5.376

3. Chogle A, Velasco-Benitez CA, Chains R, Mejia M, Saps M. Multi-country cross-sectional study found that functional gastrointestinal disorders such as colic and functional dyschezia were common in South American infants. Acta Paediatr 2018; 107(4):708-713. DOI: 10.1111/apa.14196

4. Chogle A, Velasco-Benitez CA, Koppen I, Moreno J, Ramirez C, Saps M. A Population-Based Study on the Epidemiology of Functional Gastrointestinal Disorders in Young Children. J Pediatr 2016;179(12):139-143. DOI: 10.1016/j.jpeds.2016.08.095

5. Muhardi L, Aw MM, Hasosah M, Ng RT, Chong SY, Hegar B, et al. A Narrative Review on the Update in the Prevalence of Infantile Colic, Regurgitation, and Constipation in Young Children: Implications of the ROME IV Criteria. Front Pediatr 2022;9(1):778747. DOI: 10.3389/fped.2021.778747

6. Beser OF, Cokugras FC, Dogan G, Akgun O, Elevli M, Yilmazbas P, et al. The frequency of and factors affecting functional gastrointestinal disorders in infants that presented to tertiary care hospitals. Eur J Pediatr 2021;180(8):2443-2452. DOI: 10.1007/ s00431-021-04059-2

7. Chia LW, Nguyen TVH, Phan VN, Luu TTN, Nguyen GK, Tan SY, et al. Prevalence and risk factors of functional gastrointestinal disorders in Vietnamese infants and young children. BMC Pediatr 2022;22:315. DOI: 10.1186/s12887-022-03378-z

8. Chew KS, Em JM, Koay ZL, Jalaludin MY, Ng RT, Lum LCS, et al. Low prevalence of infantile functional gastrointestinal disorders (FGIDs) in a multiethnic Asian population. Pediatr Neonatol 2021;62(1):49-54. DOI: 10.1016/j.pedneo.2020.08.009

Aviso de derechos de autor © 2023 Acta Gastroenterológica Latinoamericana. Este es un artículo de acceso abierto publicado bajo los términos de la Licencia Creative Commons Attribution (CC BY-NC-SA 4.0), la cual permite el uso, la distribución y la reproducción de forma no comercial, siempre que se cite al autor y la fuente original.

Cite este artículo como: Velasco-Benítez C A, Koremblun Murillo S, Ortíz-Rivera C J y col. Prevalencia de regurgitación infantil: experiencia del grupo de trabajo en trastornos del eje cerebro-intestino de la Sociedad Latinoamericana de Gastroenterología, Hepatología y Nutrición Pediátrica (SLAGHNP) Acta Gastroenterol Latinoam. 2023; 53(1):49-58 https://doi.org/ 10.52787/agl.v53i1.280

9. De Morais MB, Toporovski MS, Cardoso MH, Vieira K, Rodrigues L, Targa CH. Prevalence of Functional Gastrointestinal Disorders in Brazilian Infants Seen in Private Pediatric Practices and Their Associated Factors. J Pediatr Gastroenterol Nutr 2022;75(1):17-23. DOI: 10.1097/MPG.0000000000003469

10. Steutel N, Zeevenhooven J, Scarpato E, Vandenplas Y, Tabbers M, Staiano A, et al. Prevalence of Functional Gastrointestinal Disorders in European Infants and Toddlers. J Pediatr 2020;221(6):107-114. DOI: 10.1016/j.jpeds.2020.02.076

11. Alonso-Bermejo C, Barrio J, Fernández B, García-Ochoa E, Santos A, Herreros M, y col. Frecuencia de trastornos gastrointestinales funcionales según criterios Roma IV. An Pediatr 2022;96:441447. DOI: 10.1016/j.anpedi.2021.05.021

12. Robin S, Keller C, Zwiener R, Hyman P, Nurko S, Saps M., et al. Prevalence of Pediatric Functional Gastrointestinal Disorders Utilizing the Rome IV Criteria. J Pediatr 2018;195(2):134-139. DOI: 10.1016/j.jpeds.2017.12.012

13. Montenegro M, Goulart A, Batista M. Prematurity and functional gastrointestinal disorders in infancy: a cross-sectional study. Sao Paulo Med J 2022;140(4):540-546. DOI: 10.1590/15163180.2021.0622.R1.29102021

57 Acta Gastroenterol Latinoam 2023;53(1):49-58
Regurgitación infantil: experiencia SLAGHNP Carlos Alberto Velasco-Benítez y col.

14. Huang Y, Tan SY, Parikh P, Buthmanaban V, Rajindrajith S, Benninga MA. Prevalence of functional gastrointestinal disorders in infants and young children in China. BMC Pediatr 2021;21:131. DOI: 10.1186/s12887-021-02610-6

15. Játiva E, Játiva Z, Velasco-Benitez CA. Prevalencia de desórdenes gastrointestinales funcionales y hábito intestinal en lactantes menores de 12 meses internados en el Hospital Infantil Baca Ortíz de Quito, Ecuador. Med UIS 2019;32(2):13-21. dx.doi. org/10.18273/revmed.v32n2-2019002

16. de Morais MB. Signs and symptoms associated with digestive tract development. J Pediatr (Rio J) 2016;92(3 Suppl 1): S46-S56. DOI: 10.1016/j.jped.2016.02.008

17. Hegar B, Dewanti NR, Kadim M, Alatas S, Firmansyah A, Vandenplas Y. Natural Evolution of Regurgitation in Healthy Infants. Acta Pædiatr 2009;98:1189-1193

18. Chen PL, Soto-Ramírez N, Zhang H, Karmaus W. Association Between Infant Feeding Modes and Gastroesophageal Reflux: A Repeated Measurement Analysis of the Infant Feeding Practices Study II. J Human Lact 2017;33(2)267-277. DOI: 10.1177/0890334416664711

19. Albadi MS. Use of Thickeners Versus Hydrolysed Formulae in the Management of Gastro-oesophageal Reflux Disease in Infants: A Systematic Review. International Journal of Clinical Nutrition 2021;6(1):1-11. DOI:10.12691/ijcn-6-1-1

20. Dupont C, Vandenplas Y. Different thickening complexes with pectin in infant anti-regurgitation formula. Acta Paediatr 2020; 109(3):471-480. DOI: 10.1111/apa.15015

21. Salvatore S, Baldassarre ME, Di Mauro A, Laforgia N, Tafuri S, Bianchi FP, et al. Neonatal antibiotics and prematurity are associated with an increased risk of functional gastrointestinal disorders in the first year of life. J Pediatr 2019;212:44-51. DOI: 10.1016/j.jpeds.2019.04.061

22. Moreno A, Hernández-Carrillo M, Pico S. Seguridad alimentaria en madres indígenas colombianas y su relación con los conocimientos, actitudes y prácticas en la primera infancia. Rev Esp Nutr Comunitaria 2020;26(4):213-220. DOI: 10.14642/ RENC.2020.26.4.5339

23. Rosen R, Vandenplas Y, Singendonk M, Cabana M, DiLorenzo C, Gottrand F., et al. Pediatric Gastroesophageal Reflux Clinical Practice Guidelines: Joint Recommendations of the North American Society for Pediatric Gastroenterology, Hepatology, and Nutrition and the European Society for Pediatric Gastroenterology, Hepatology, and Nutrition. J Pediatr Gastroenterol Nutr 2018;66(3):516-554. DOI: 10.1097/MPG.0000000000001889

58 Acta Gastroenterol Latinoam 2023;53(1):49-58
Regurgitación infantil: experiencia SLAGHNP Carlos Alberto Velasco-Benítez y col.

Adenoma Detection Rate at Different Age Intervals Suggests Starting Colorectal Cancer Screening at 45 Years of Age

Bleenis Gutiérrez

Centro Integral de Gastroenterología.

Ciudad Autónoma de Buenos Aires, Argentina.

Acta Gastroenterol Latinoam 2023;53(1):59-67

Received: 16/01/2023 / Accepted: 17/03/2023 / Published online: 30/03/2023 / https://doi.org/ 10.52787/agl.v53i1.292

Summary

Introduction. It is uncertain whether starting screening at 45 years old would improve colorectal cancer prevention and currently available studies in adults younger than 50 years old are limited. Aim. To evaluate the adenoma detection rate at different age intervals. Materials and methods. Colonoscopies performed on adult outpatients were analyzed. Adenoma detection was recorded in the total population and in patients with screening indication. First, patients were divided into two groups: 50 years or older (group A) and younger than 50 years (group B). Then, we analyzed the different age segments: up to 44 years (group 1) 45 to 49 (group 2), 50 to 54 (group 3), and 55 or older (group 4). Results. A total of 5090 patients were included, 2877 with indication for screening. Patients were divided as follows: 3883 in

group A, 1207 in group B, 811 in group 1, 396 in group 2, 749 in group 3 and 3134 in group 4. In the total population, adenoma detection was 20.5%: 23.5% in group A, 10.5% in group B (p = 0.000); 8.3% in group 1, 14.8% in group 2, 18.1% in group 3, and 24.8% in group 4 (group 1 vs. group 2: p = 0.001, group 2 vs. group 3: p = 0.189, and group 3 vs. group 4: p = 0.000). In the screening population, adenoma detection was 20.5%: 21.4% in group A, 14.8% in group B (p = 0.004); 13.1% in group 1, 17.0% in group 2, 16.1% in group 3, and 22.8% in group 4 (group 1 vs. group 2: p = 0.31; group 2 vs. group 3: p = 0.81; and group 3 vs. group 4: p = 0.001). Conclusion. Adenoma detection is not different between 45 to 49 and 50 to 54 years of age, and is lower below 45 years of age, which suggests starting colorectal cancer screening at this age.

Keywords. Adenoma detection rate, screening, colorectal cancer.

La tasa de detección de adenomas en diferentes intervalos de edad sugiere iniciar el cribado de cáncer colorrectal a los 45 años

Resumen

Correspondence: Andres Wonaga

Email: awonaga@yahoo.com.ar

Introducción. Es incierto si comenzar el cribado a los 45 años mejoraría la prevención del cáncer colorrectal y los

59 Acta Gastroenterol Latinoam 2023;53(1):59-67 ♦ORIGINAL ARTICLES

estudios actualmente disponibles en adultos menores de 50 años son limitados. Objetivo. Evaluar la tasa de detección de adenomas en diferentes intervalos de edad. Material y métodos. Se analizaron las colonoscopias realizadas a pacientes adultos ambulatorios. La detección de adenomas se registró en la población total y en pacientes con indicación de cribado. Primero, los pacientes se dividieron en dos grupos: 50 años o más (grupo A) y menores de 50 años (grupo B). Luego, analizamos los diferentes segmentos de edad: hasta 44 años (grupo 1), 45 a 49 (grupo 2), 50 a 54 (grupo 3), y 55 o más (grupo 4). Resultados. Se incluyeron 5090 pacientes, 2877 con indicación de cribado. Los pacientes se dividieron de la siguiente manera: 3883 en el grupo A, 1207 en el grupo B, 811 en el grupo 1, 396 en el grupo 2, 749 en el grupo 3 y 3134 en el grupo 4. En la población total, la detección de adenomas fue del 20,5 %: 23,5% en el grupo

A, 10,5% en el grupo B (p = 0,000); 8,3% en el grupo

1, 14,8% en el grupo 2, 18,1% en el grupo 3 y 24,8% en el grupo 4 (grupo 1 vs. grupo 2: p = 0,001, grupo 2 vs. grupo 3: p = 0,189, y grupo 3 vs. grupo 4: p = 0·000). En la población de cribado, la detección de adenomas fue del 20,5 %: 21,4 % en el grupo A, 14,8 % en el grupo B (p = 0,004); 13,1 % en el grupo 1, 17,0 % en el grupo 2, 16,1 % en el grupo 3 y 22,8 % en el grupo 4 (grupo 1 vs. grupo 2: p = 0,31; grupo 2 vs. grupo 3: p = 0,81 y grupo 3 vs grupo 4: p = 0,001). Conclusión. La detección de adenomas no es diferente entre los 45 a 49 y los 50 a 54 años, y es menor por debajo de los 45 años, lo que sugiere iniciar el cribado de cáncer colorrectal a esta edad.

Palabras claves. Detección de adenomas, screening, cáncer colorrectal.

Abbreviations

CRC: Colorectal cancer.

ADR: Adenoma detection rate.

HR: High-risk.

RC: Right colon.

Introduction

Colorectal cancer (CRC) is the third most frequent cancer and the second leading cause of cancer death worldwide.1 In the United States, CRC is the fourth most commonly diagnosed cancer, resulting in 50,000 deaths per year.2 Although CRC remains a leading cause of cancer, declining trends in incidence and mortality have been reported in Europe and the United States.3 These trends have been attributed primarily to increased

screening policies and the resulting availability of improved therapies.2, 4

Colonoscopy has become the preferred screening method for the detection and removal of precancerous lesions, and the reduction in CRC incidence and mortality with this strategy has been largely demonstrated over the past decade.5 The importance of adenoma detection in reducing the risk of interval colorectal cancer, advanced stage interval cancer and fatal interval cancer was also demonstrated, for both male and female patients and for both proximal and distal CRC.4 Thus, the adenoma detection rate (ADR) became a relevant indicator of colonoscopy quality and professional societies recommended that colonoscopists include ADR in their performance measurement.6, 7 Adenomas are the precursors of perhaps 70% of CRC cases, and this fact is particularly important when considering advanced adenomas (size equal to or greater than 1 cm, villous components or high-grade dysplasia).6 In a large retrospective study, a 3% reduction in CRC mortality was observed for every 1% increase in ADR.2

In recent years, some issues related to age and risk of CRC have emerged. In fact, 10% to 12% of all CRCs are diagnosed in patients younger than 50 years, and these cancers tend to be more advanced and devastating at presentation.8, 9 Several biological and environmental risk factors have been associated with this trend, such as hereditary conditions, dietary patterns, obesity, diabetes, physical activity, early exposure to antibiotics, smoking, alcohol and processed meat consumption. However, whether modifiable or non-modifiable risk factors, or both, explain the increased incidence of early-onset CRC remains to be determined, and a better understanding of these factors is needed to incorporate them into preventive strategies that include individuals younger than 50 years in the screening group.10

Despite the observed increase in CRC incidence in persons younger than 50 years of agein several high-income countries,8, 11 most consensus statements maintained the recommendation to begin CRC screening at age 50 in persons at medium -risk, except for African Americans. This is based on the fact that there was insufficient evidence to recommend screening in asymptomatic persons younger than 50 years.9, 11, 12 Recently, the American Cancer Society recommended lowering the starting age for CRC screening from 50 to 45 years.2, 13 However, currently available studies in younger adults are limited, and it remains uncertain whether earlier screening would improve CRC prevention.14, 15 Siegel and colleagues observed thatcurrently available studies did not examine the temporal patterns by age, calendar period and year

60 Acta Gastroenterol Latinoam 2023;53(1):59-67
Adenoma Detection Rate by Age Intervals Bleenis Gutiérrez Castro et al.

of birth. They developed a model to understand disease trends, they found variations in CRC incidence patterns by age, tumor subsite, calendar period, and birth cohort, with an increased incidence of CRC in young adults, and suggested reconsidering the initiation of CRC screening before age 50.3

As a contribution to the search for an answer to this complex issue, we set out in this study to evaluate ADR in different age groups, with special attention to the age groups around 50 years.

Materials and Methods

Study Design

An exploratory and retrospective review of colonoscopies performed at our center between January 2016 and December 2018 was performed. Our center is a private institution located in Buenos Aires, Argentina, dedicated to the clinical practice of gastroenterology and endoscopy.

Outpatients over 18 years of age who underwent a colonoscopy for any indication were included. Virtually all patients attending the center belonged to private health insurance systems and lived in the metropolitan area of Buenos Aires, and most of them were Caucasian. Patients with history of colon surgery, inflammatory bowel disease, or personal CRC were excluded from the study. Patients in whom biopsy results were not available were also excluded. If two or more colonoscopies were performed on the same patient during the study period, only one was included (polyp/adenoma found).

Data Analysis

We reviewed the written report of each study and the corresponding histopathologic inform. Based on histopathogical criteria, ADR was considered as the percentage of patients with at least one adenoma, considering the more severe lesion and independent of the number, location or size of lesions found. Assessing the detection rate of neoplasms, overall detection and detection of high-risk adenomas, carcinomas and adenomas of the right colon were analyzed.

Patient and study characteristics were recorded in a specific software: age, sex, indication for colonoscopy, cecal intubation rate, and Boston scale.16 Polyps were evaluated according to number, location, size, and histopathologic findings.

First, patients were divided by age in two groups: 50 years or older (group A) and younger than 50 years (group B). Then, we analyzed the different subsegments: up to 44 years (group 1), 45 to 49 years (group 2), 50 to

54 years (group 3), and 55 or older (group 4). ADR was evaluated in each group, considering the total population as well as the screening population, which was defined as patients at low or medium risk of CRC or with a family history of CRC (high risk). Patients under surveillance for adenoma history and symptomatic patients completed the total population.

Colonoscopy Procedure

Colonoscopies were performed on consecutive outpatients under routine indications of daily clinical practice by five experienced endoscopists from our center, all with more than 10 years of practice (ADR greater than 25%).7 They used GIF-0140, GIF-0150 and GIF-0160 video endoscopes (Olympus Medical Systems Corp, Tokyo, Japan). All the procedures were performed under propofol sedation.

Patients were instructed to follow a diet excluding fruits, vegetables, cereals, seeds, and dairy products for 3 days before the procedure. Monosodium phosphate/ disodium phosphate or sodium picosulfate were the selected cleansing agents, except for patients 70 years of age or older or with a history of kidney failure, severe hypertension or congestive heart failure. In these cases, polyethylene glycol was the recommended option. All bowel preparations were performed using a two-dose schedule.

Quality indicators for colonoscopy were colon preparation according to the Boston scale (with a cut-off of 6 points for adequate preparation with at least 2 points for each of the evaluated colon segments) and cecal intubation rate (as deep intubation into the cecum, with the tip of the endoscope being able to touch the appendiceal orifice, thus allowing visualization of the inner wall).7

Histopathology

Only adenomatous polyps were considered, including tubular, villous or serrated adenomas, and carcinomas. Hyperplastic polyps were excluded. High-risk (HR) adenomas were defined as those either larger than 1 cm (measured with an open biopsy forceps), villous or tubulo-villous, serrated, or with high-grade dysplasia.

Statistical Analysis

For the comparative statistical analysis of baseline characteristics, we used a chi-squared test for categorical variables and an unpaired Student’s t test for the continuous variables after confirming the normal distribution of our data. Comparisons of ADRs between age groups were performed using a chi-squared test. A P value of less than 0.05 was considered significant.

61 Acta Gastroenterol Latinoam 2023;53(1):59-67
Adenoma Detection Rate by Age Intervals Bleenis Gutiérrez Castro et al.

Ethical Aspects

Written informed consent for endoscopy was obtained from all the patients. No additional procedures were performed other than those indicated by the prescribing physicians or by the endoscopic findings. Patient information was mantained anonymous in accordance with local data protection regulations.

Our institutional reviewers considered that because we conducted a retrospective study using data from our endoscopy and pathology records, approval from an independent ethics committee was not necessary.

Funding

There was no source of funding.

Results

General data

We analyzed data from 6293 colonoscopies and we excluded 1203 studies because they did not meet the inclusion criteria or because they were performed on the

same patient. We finally included 5090 patients. These patients were divided according to age as follows: 3883 were 50 years or older (group A), 1207 were younger than 50 years (group B), 811 were less than 45 years (group 1), 396 were between 45 and 49 years (group 2), 749 between 50 and 54 years (group 3), and 3134 were 55 or older (group 4).

Of the 5090 patients, 2617 were women and 2473 were men. Their mean age was 56.91 + 12.38 years. The indication for colonoscopy was CRC screening in 2877 cases, surveillance for history of adenoma in 719 cases, and intestinal symptoms in 1494 cases. The cecal intubation rate was 96.6% and the mean Boston scale score was 6.50 + 1.19. The distribution of these findings in groups 1 and 2 is shown in Table 1. There was no significant difference in sex: 424 women of 811 patients in group 1 (52.3%), 205 of 396 in group 2 (51.8%), 364 of 749 in group 3 (48.6%), and 1624 of 3134 in group 4 (51.8%) (1 vs. 2: p = 0.92, 2 vs. 3: p = 0.34, 3 vs. 4: p = 0.12).

Total Population

In the total population, 1043 adenomas were detected (ADR 20.5%), 916 of them in group A (ADR 23.5%) and 127 in group B (ADR 10.5%) (p = 0,000) (Figure 1). According to the distribution in different age segments, 68 adenomas were found in group 1 (ADR 8.3%), 59 in group 2 (ADR 14.8%), 136 in group 3 (ADR 18.1%), and 780 in group 4 (ADR 24.8%). The comparison between these groups showed: group 1 vs. group 2: p = 0.001; group 2 vs. group 3: p = 0.189; and group 3 vs. group 4: p = 0.000 (Figure 2). Adenomas were detected in 433 women (16.5%) and 610 men (24.7%) (p = 0.000). In an additional analysis to avoid bias introduced by younger patients, we compared the subgroups of patients aged 40 to 44 years and 45 to 49 years. Adenomas were detected in 29 of 310 patients (9.3%) and 59 of 396 patients (14.8%), respectively (p = 0.04).

Screening Population

Of the 2877 patients who underwent screening colonoscopy, adenomas were detected in 591 patients (ADR 20.5%), including 534 in the 2494 patients in group A (ADR 21.4%) and 57 in the 383 patients in group B (ADR 14.8%) (p = 0.004). According to the distribution in different age segments, 28 adenomas were found in 213 patients in group 1 (ADR 13.1%), in 29 of 170 in group 2 (ADR 17.0%), in 87 of 538 in group 3 (ADR 16.1%), and in 447 of 1956 in group 4 (ADR 22.8%). The comparison between these groups showed: group 1 vs. group 2: p = 0.31, group 2 vs. group 3: p = 0.81; and group 3 vs. group 4: p = 0.001 (Table 2). The differences between patients at low or medium risk of CRC and patients with a family history of CRC are shown in Table 3.

62 Acta Gastroenterol Latinoam 2023;53(1):59-67 Adenoma Detection Rate by Age Intervals Bleenis Gutiérrez Castro et al.
Group A Group B n=3883 n=1207 P value Women 1988 629 NS Mean age (years + SD) 62.27 + 7.93 39.77 + 7.45 Screening colonoscopies [n (%)] 2494 (64.2) 383 (31.7) 0.000 Cecal intubation rate [n (%)] 3747 (96.5) 1169 (96.9) 0.62 Mean Boston scale (+ SD) 6.43 +/- 1.16 6.72 +/- 1.24 0.000
Table 1. Comparison between patients older than 50 years (Group A) and younger than 50 years (Group B)

Adenoma Detection Rate by Age Intervals Bleenis Gutiérrez Castro et al.

Figure 1. Adenoma detection rate in total population: patients at least 50 years old (Group A) and older than 50 years old (Group B)

Figure 2. Adenoma detection rate in total population: patients younger than 45 years old (Group 1), 45 to 49 years old (Group 2), 50 to 54 years old (Group 3), and older than 54 years old (Group 4)

ADR: adenoma detection rate. Groups of patients: group A: at least 50 years old, group B: younger than 50 years old, group 1: younger than 45 years old, group 2: 45 to 49 years old, group 3: 50 to 54 years old, group 4: older than 54 years old.

63 Acta Gastroenterol Latinoam 2023;53(1):59-67
0 20 % 10 30 23.5% Group A (n=3883) 916 p = 0.000 10.5% Group B (n=1207) 127
0 20 % 10 30 8.3% Group 1 (n=811) 68 14.8% Group 2 (n=396) 59 18.1% Group 3 (n=749) 136 24.8% Group 4 (n=3134) 780 p = 0.001 p = 0.189 p = 0.000
Group n Adenomas ADR (%) A 2494 534 21.4 B 383 57 14.8 Screening 1 213 28 13.1 2 170 29 17.0 3 538 87 16.1 4 1956 447 22.8
Table 2. Adenoma detection in different settings
Screening: A vs. B: p = 0.004; 1 vs. 2: p = 0.31; 2 vs. 3: p = 0·81; 3 vs. 4: p = 0.001. High risk: A vs. B: p = 0.000; 1 vs. 2: p = 0.000; 2 vs. 3: p = 0·96; 3 vs. 4: p = 0.008. Right colon: A vs. B: p = 0.000; 1 vs. 2: p = 0.002; 2 vs. 3: p = 0·85; 3 vs. 4: p = 0.000. A 3883 453 11.7 B 1207 67 5.6 High-risk adenomas in 1 811 31 3.8 total population 2 396 36 9.1 3 749 66 8.8 4 3134 387 12.3 A 3883 425 10.9 B 1207 56 4.6 Adenoma detection 1 811 26 3.2 in right colon 2 396 30 7.5 3 749 53 7.0 4 3134 372 11.8

High-Risk Adenoma Detection Rate

HR adenomas were detected in 520 patients of the total population (HR ADR 10.2%), 453 of them in group A (HR ADR 11.7%) and 67 in group B (HR ADR 5.6%) (p = 0.000). According to the distribution in different age segments, 31 adenomas were found in 811 patients in group 1 (HR ADR 3.8%), in 36 of 396 patients in group 2 (HR ADR 9.1%), in 66 of 749 patients in group 3 (HR ADR 8.8%) and in 387 of 3134 patients in group 4 (HR ADR 12.3%). The comparison between these groups showed: group 1 vs. group 2: p = 0.000, group 2 vs. group 3: p = 0.96; and group 3 vs. group 4: p = 0.008 (Table 2).

Adenoma Detection Rate in the Right Colon

Right colon (RC) adenomas were detected in 481 patients of the total population (RC ADR 9.4%), 425 of them in group A (RC ADR 10.9%) and 56 in group B (RC ADR 4.6%) (p = 0.000). According to the distribution in different age segments, 26 adenomas were found in 811 patients in group 1 (RC ADR 3.2%), in 30 of 396 in group 2 (RC ADR 7.5%), in 53 of 749 in group 3 (RC ADR 7.0%), and 372 of 3134 in group 4 (RC ADR 11.8%). The comparison between these groups showed: group 1 vs. group 2: p = 0.002, group 2 vs. group 3: p = 0.85; and group 3 vs. group 4: p = 0.000 (Table 2).

Colorectal Cancer

We found CRC in 34 patients in the total population (0.67%), 13 of them during a screening colonoscopy (0.45%) and 21 in the non-screening studies (0.95%) ( p = 0.047). Twenty-nine patients (0.75%) with CRC belonged to group A and 5 to group B (0·41%) ( p = 0.31). Four patients belonged to group 1, 1 to group 2, 4 to group 3, and 25 to group 4 (group 2 vs. group 3: p = 0.66, group 3 vs. group 4: p = 0.64).

Discussion

The main finding of our study is that there are no significant differences in the ADR between the ages of 45 to 49 years and 50 to 54 years (Figure 2). This finding is consistent with our previous report in a smaller population and could support the recommendation to start colorectal cancer screening at 45 years of age.17 This observation was valid not only for the total population studied but also for patients who underwent screening colonoscopy, for HR ADR, and for ADR in the right colon.

We began our analysis by confirming that ADR is significantly higher in patients older than 50 years (Figure 1), as previously observed in a large database, with an increase with each decade of life after age 50.18 This fact is well known and was the reason for the initiation of CRC screening starting at this age, with a strong evidence-based recommendation.2, 11 However, some epidemiological studies showed that CRC was increasing in younger populations and this was the first indication to suggest a change in this policy. Although a continued decline in CRC mortality rates was predicted in European countries thorugh 2018 and some reports did not confirm that ADR was increasing in younger people,19, 20 the incidence of CRC in adults younger than 55 years in the United States has doubled in two decades.3 A few years ago, some scientific societies in the United States began to support earlier colonoscopies, either in nonwhite individuals (American College of Gastroenterology and American Society of Gastrointestinal Endoscopy)11 or in selected younger populations, such as patients with family history of CRC or advanced adenomas (American College of Physicians and Institute for Clinical Systems Improvement).21, 22 Following this trend, Peterse and colleagues developed a predictive microsimulation analysis and concluded that the best efficacy rate was obtained by initiating colonoscopy screening at age 45 years.13 Based

64 Acta Gastroenterol Latinoam 2023;53(1):59-67
Adenoma Detection Rate by Age Intervals Bleenis Gutiérrez Castro et al.
Group 1 Group 2 Group 3 Group 4 (n=213) (n=170) (n=538) (n=1956) n A % N A % n A % n A % Low- or medium- risk 114 22 19.2 138 21 15.2 507 87 17.1 1881 429 22.8 High-risk 99 6 6.0 32 8 25.0 31 0 0.0 75 18 24.0
Table 3. Differences between low- or medium-risk and high-risk patients Groups of patients: Group 1: younger than 45 years old, group 2: 45 to 49 years old, group 3: 50 to 54 years old, group 4: older than 54 years old. A: adenomas.

on these findings, the American Cancer Society recommended, as a qualified recommendation, lowering the starting age from 50 to 45 years for all medium risk individuals, with either a high-sensitivity stool-based test or a structural examination, depending on patient preference and test availability.2 In contrast, other American organizations (United States Preventive Service Task Force and United States Multi-Society Task Force of Colorectal Cancer) and European guidelines still recommend screening from age 50.23, 24

Given the insufficient evidence from population-based studies, the decision to initiate colonoscopy earlier remains controversial and should probably be limited to countries where an increase in the early-onset of CRC has been demonstrated.23 Some important concerns have been outlined to this strategy: the increased incidence of CRC in younger individuals had wide confidence intervals suggesting imprecision, the choice of a group between 45 and 49 years was arbitrary, the use of efficacy rate in the predictive model was considered insufficient to evaluate the cost-effectiveness, the cost of CRC screening should increase, and the compliance by patients and health care professionals could be a challenge.14, 15 Thus, considering that the detection and treatment of adenomas is a good prophylaxis for the development of CRC,5 we hypothesized that ADR analysis at different age intervals should contribute to determine when the risk of CRC increases. Surveillance, Epidemiology, and End Results (SEER) data showed that life years lost due to CRC were comparable at ages 45-49 years (5.1%) and 50-54 years (7.6%), and Syed and colleagues observed that the majority of the early-onset CRC group was aged 40 to 49 years (71.1%).2, 25

However, we found few studies that analyzed the relationship between ADR and age. In 2015, Hemmasi and colleagues compared patients of 40-49 years old with those aged 50-59 years in a small sample of 740 screening colonoscopies and found no statistical differences between the two groups (11.7% vs. 16.5%), but the age interval was too wide to draw any conclusions about age 45 years as a threshold for screening.26 Karsenti and colleagues were the first to examine ADR and HR ADR using age intervals of 5 years. In 6027 colonoscopies, their overall ADR was 28.6%, a figure higher than ours of 20.5% (24.8% when patients older than 54 years were included), with a similar proportion of patients younger than 45 years (16.9% vs. 15.9%).27 Our total ADR was similar to that observed in a large cohort study from Austria (19.7%).28 As in most studies, our ADR was significantly higher in male sex.

It is difficult to compare the population of Karsen-

ti and colleagues and ours because the inclusion criteria were different. They included patients with a family or personal history of colonic polyps or CRC in the highrisk group, without providing explaining as to where symptomatic patients were included. For us, screening patients were both medium and high-risk (family history). Surveillance of adenomas and symptomatic cases were not considered screening, and patients with a personal history of CRC were excluded. Nevertheless, our results in the total population are consistent with those of Karsenti and colleagues, with a non-significant difference in ADR between the 45 to 49 age group and the 50 to 54 age group (21.2% vs. 25.2%).27 In a recent communication to Digestive Disease Week with an extremely high ADR, Dasari and colleagues found no differences between these groups (56.5% vs. 55.5%).29 Although our ADR in the 45-49 age group was lower than previously reported (21.2% to 56.5%), we also found this lack of difference.27, 29

Among other interesting data, we also observed that the difference in ADR was significantly lower in patients younger than 45 years and significantly higher in those older than 54 years. This observation was valid for the total population and for the subgroups studied, with the only exception of the difference at 45 years in the screening group (Table 2). Regarding the prevalence of CRC, it was very low in our population (0.67%) and significantly lower in the screening group. We could not obtain a statistically valid difference between the different age segments, due to the small number of cases.

The weakness of our study is the retrospective and single-center design (we do not know the family history of all patients). We did not detect a significant difference in ADR between ages below 45 years and 45 to 49 years in the screening population, which may be due to a type two error. In addition, we found little family history of CRC, while other authors noted that ADR was significantly higher in high-risk individuals 40 to 49 years (27.8% vs. 19.7%).30 Moreover, we cannot extrapolate our results to the community because of the single-center design nature of our study. In contrast, the homogeneity of our data was preserved by similar characteristics over the years, as the social status of the patients, the team (endoscopists, anesthesiologists and nurses) and the equipment used were the same. Another strength of the study is that it was conducted in a real-life scenario.

Conclusion

In conclusion, our ADR was not significantly different in patients aged 45 to 49 and 50 to 54 years and ADR was significantly lower in patients younger than

65 Acta Gastroenterol Latinoam 2023;53(1):59-67
Adenoma Detection Rate by Age Intervals Bleenis Gutiérrez Castro et al.

45 years old, suggesting a benefit in initiating CRC screening at this age. Direct evidence on the efficacy of screening in adults younger than 50 years is limited. Most large randomized controlled trials begin at this age, and trials demonstrating the benefit of age reduction are underpowered to perform age subgroup analyses.2 Therefore, larger prospective studies using an age interval-based approach should contribute to clarify this still controversial issue.3, 14.

Consent for Publication. Written informed consent was obtained from the patient or their parent, guardian, or relative to publish the data and/or clinical images for the benefit of science. A copy of the consent form is available to the editors of this journal.

Intellectual Property. The authors declare that the data, figures, and tables that appear in this article are original and were made in their belonging institutions.

Funding. The authors state that there were no external funding sources.

Conflict of Interest. The authors declare that he has no conflicts of interest in relation to this article.

2. Corley D, Jensen C, Marks A. Adenoma detection rate and risk of colorectal cancer and death. N Engl J Med 2014;370:1298-306.

3. Siegel RL, Fedewa SA, Anderson WF, et al. Colorectal cancer incidence patterns in the United States, 1974-2013. J Natl Cancer Inst 2017;109:djw322.

4. Brenner H, Stock C, Hoffmeister M. Effect of screening sigmoidoscopy and screening colonoscopy on colorectal cancer incidence and mortality: systematic review and meta-analysis of randomized controlled trials and observational studies. BMJ 2014;348:g2467.

5. Kaminski MF, Wieszczy P, Rupinski M, Wojciechowska U, Didkowska J, Kraszewska E, Kobiela J, Franczyk R, Rupinska M, Kocot B, Chaber-Ciopinska A, Pachlewski J, Polkowski M, Regula J. Increased Rate of Adenoma Detection Associates With Reduced Risk of Colorectal Cancer and Death. Gastroenterology. 2017 Jul;153(1):98-105.

6. Rex DK, Petrini JL, Baron TH, Chak A, Cohen J, Deal SE, Hoffman B, Jacobson BC, Mergener K, Petersen BT, Safdi MA, Faigel DO, Pike IM; ASGE/ACG Taskforce on Quality in Endoscopy. Quality indicators for colonoscopy. Am J Gastroenterol. 2006 Apr;101(4):873-85

7. Viola LA, Cassella F, Wonaga A, Arnao Dellamea G, Di Paola L, Ubeira Salim R, Fernández JL. Implementation of a program to improve the quality of colonoscopy increases the neoplasia detection rate: a prospective study. Endosc Int Open. 2016 Jan;4(1):E68-72

8. Maratt JK, Kahi CJ. Who is at risk for early-onset colorectal cancer? Clin Gastroenterol Hepatol 2020;2020;18:2686-8.

9. Strum WB, Boland CR. Characterization and identification of colorectal cancer in persons younger than 50 years. Clin Gastroenterol Hepatol 2019;17:2600-2.

10. Gausman V, Dornblaser D, Anand S, Hayes RB, O'Connell K, Du M, Liang PS. Risk Factors Associated With Early-Onset Colorectal Cancer. Clin Gastroenterol Hepatol. 2020 Nov;18(12):2752-2759

Copyright © 2023 Acta Gastroenterológica latinoamericana. This is an openaccess article released under the terms of the Creative Commons Attribution (CC BY-NCSA 4.0) license, which allows non-commercial use, distribution, and reproduction, provided the original author and source are acknowledged.

Cite this article as: Gutiérrez Castro B, Fernández J L, Cassella F et al. Adenoma Detection Rate at Different Age Intervals Suggests Starting Colorectal Cancer Screening at 45 Years of Age. Acta Gastroenterol Latinoam. 2023;53(1):5967. https://doi.org/ 10.52787/agl.v53i1.292

11. Rex DK, Boland CR, Dominitz JA, Giardiello FM, Johnson DA, Kaltenbach T, Levin TR, Lieberman D, Robertson DJ. Colorectal Cancer Screening: Recommendations for Physicians and Patients From the U.S. Multi-Society Task Force on Colorectal Cancer. Gastroenterology. 2017 Jul;153(1):307-323.

12. Siegel RL, Miller KD, Jemal A. Colorectal cancer mortality rates in adults aged 20 to 54 years in the United States, 1970-2014. JAMA 2017;318:572-4.

13. Peterse EFP, Meester RGS, Siegel RL, Chen JC, Dwyer A, Ahnen DJ, Smith RA, Zauber AG, Lansdorp-Vogelaar I. The impact of the rising colorectal cancer incidence in young adults on the optimal age to start screening: Microsimulation analysis I to inform the American Cancer Society colorectal cancer screening guideline. Cancer. 2018 Jul 15;124(14):2964-2973.

14. Anderson JC, Samadder NJ. To screen or not to screen adults 45-49 years of age: that is the question. Am J Gastroenterol 2018;113:1750-53.

15. Imperiale TF, Kahi CL, Rex DK. Lowering the starting age for colorectal cancer screening to 45 years: who will come and should they? Clin Gastroenterol Hepatol 2018;16:1541-4.

References

1. Bray F, Ferlay J, Soerjomataram I, Siegel RL, Torre LA, Jemal A. Global cancer statistics 2018: GLOBOCAN estimates of incidence and mortality worldwide for 36 cancers in 185 countries. CA Cancer J Clin 2018;68:394-424.

16. Calderwood AH, Jacobson BC. Comprehensive validation of the Boston Bowel Preparation Scale. Gastrointest Endosc 2010;72:686-92.

17. Gutiérrez BR, Fernández J, Cassella F, Viola LA. Does the analysis of adenoma detection rate at different intervals of age support the recommendation to start colorectal cancer screening at 45 years old? (abstract). Gastrointest Endosc 2019;89 Suppl:AB404.

66 Acta Gastroenterol Latinoam 2023;53(1):59-67
Adenoma Detection Rate by Age Intervals Bleenis Gutiérrez Castro et al.

Adenoma Detection Rate by Age Intervals

18. Diamond SJ, Enestvedt BK, Jiang Z, Holub JL, Gupta M, Lieberman DA, Eisen GM. Adenoma detection rate increases with each decade of life after 50 years of age. Gastrointest Endosc. 2011 Jul;74(1):135-40

19. Malvezzi M, Carioli G, Bertuccio P, Boffetta P, Levi F, La Vecchia C, Negri E. European cancer mortality predictions for the year 2018 with focus on colorectal cancer. Ann Oncol. 2018 Apr 1;29(4):1016-1022

20. Wonaga A, Gutiérrez B, Cassella F, Graciano J, Fernández JL, Viola LA. Is adenoma detection rate increasing in patients younger than age 50? (abstract). UEG J 2019;7:265-266.

21. Qaseem A, Denberg TD, Hopkins RH Jr, Humphrey LL, Levine J, Sweet DE, Shekelle P; Clinical Guidelines Committee of the American College of Physicians. Screening for colorectal cancer: a guidance statement from the American College of Physicians. Ann Intern Med. 2012 Mar 6;156(5):378-86.

22. Rex DK, Johnson DA, Anderson JC, Schoenfeld PS, Burke CA, Inadomi JM; American College of Gastroenterology. American College of Gastroenterology guidelines for colorectal cancer screening 2009 [corrected]. Am J Gastroenterol. 2009 Mar;104(3):739-50.

23. Mannucci A, Zuppardo RA, Rosati R, Di Leo M, Perea J, Cavestro GM. Colorectal cancer screening from 45 years of age: Thesis, antithesis and synthesis. World J Gastroenterol 2019;25:2565-80.

24. Basu P, Ponti A, Anttila A, Ronco G, Senore C, Vale DB, Segnan N, Tomatis M, Soerjomataram I, Primic Žakelj M, Dillner J, Elfström KM, Lönnberg S, Sankaranarayanan R. Status of implementation and organization of cancer screening in The European Union Member States-Summary results from the second European screening report. Int J Cancer. 2018 Jan 1;142(1):44-56.

25. Syed A, Abdul-Baki H, Tang A, Thakkar P, Farah K, Thakkar S. Colorectal cancer in young adults: identifying potential risks factors (abstract). Gastroenterology 2018;154 Suppl 1:S-777.

26. Hemmasi G, Sohrabi M, Zamani F, Ajdarkosh H, Rakhshani N, Khoonsari M, Ameli M, Hatami K. Prevalence of colorectal adenoma in an average-risk population aged 40-50 versus 50-60 years. Eur J Cancer Prev. 2015 Sep;24(5):386-90.

27. Karsenti D, Tharsis G, Burtin P, Venezia F, Tordjman G, Gillet A, Samama J, Nahon-Uzan K, Cattan P, Cavicchi M. Adenoma and advanced neoplasia detection rates increase from 45 years of age. World J Gastroenterol. 2019 Jan 28;25(4):447-456.

28. Ferlitsch M, Reinhart K, Pramhas S, Wiener C, Gal O, Bannert C, Hassler M, Kozbial K, Dunkler D, Trauner M, Weiss W. Sex-specific prevalence of adenomas, advanced adenomas, and colorectal cancer in individuals undergoing screening colonoscopy. JAMA. 2011 Sep 28;306(12):1352-8.

29. Dasari CS, Desai M, Hassan S, Jegadeesan R, Patel HK, Duvvuri A. Should screening for colorectal cancer start at age 45? Gastroenterology 2019;156 Suppl 1:S-949.

30. Bilal M, Singh S, Le T-T, Al-Saadi Y, Guturu P. Select group of patients might benefit from early colonoscopic screening for colorectal cancer. Surg Endosc 2020;34:4463-71.

67 Acta Gastroenterol Latinoam 2023;53(1):59-67
Bleenis Gutiérrez Castro et al.

Calidad en colonoscopía: experiencia en un centro de endoscopía de Boyacá, Colombia

1 Universidad Pedagógica y Tecnológica de Colombia. 2 Limeq SAS. Boyacá, Colombia.

Acta Gastroenterol Latinoam 2023;53(1):68-75

Recibido: 05/01/2023 / Aceptado: 23/03/2023 / Publicado online: 30/03/2023 / https://doi.org/10.52787/agl.v53i1.289

Resumen

Introducción. El cáncer colorrectal ocupa el tercer puesto en incidencia en Colombia. Para el año 2020, los programas de tamizaje, como la colonoscopía, ayudan a reducir las muertes secundarias al cáncer colorrectal entre un 18% y un 26%. Es por ello que consideramos que todos los endoscopistas e instituciones deberían contar con indicadores de calidad. Los índices de calidad pueden clasificarse en preprocedimiento, transprocedimiento y posprocedimiento. Objetivo. Evaluar

la calidad de la colonoscopía y sus factores predictores en un centro de endoscopía ambulatoria. Materiales y métodos. Estudio de corte transversal en pacientes mayores de 18 años sometidos a una colonoscopía entre febrero de 2017 y marzo de 2022, en un centro especializado de endoscopía con sede en Boyacá, Colombia. Mediante un instrumento en tiempo real, se determinaron la tasa detección de pólipos y los factores predictores de calidad en la colonoscopía. Resultados. Se recogieron 9760 registros. La tasa de intubación cecal fue del 94,6%, mientras que la tasa de detección de pólipos fue del 17,1%. El tiempo de retirada del endoscopio (OR: 2,35; IC 95%: 1,92-2,88 p = 0,001), una clasificación de Boston mayor a 6 (OR 1,4 IC 95% 1,1-1,7 p < 0,005), el sexo (OR: 1,42; IC 95%: 1,27-1,59; p = 0,001) y la edad (OR: 2,24; IC 95%: 1,91-2,4; p = 0,001) fueron predictores para la detección de pólipos. Una clasificación de Boston mayor a 6 (OR: 37,8; IC 95%: 29,7-48; p < 0,05), la sedación (OR: 7,87; IC 95%: 3,07-20,01; p < 0,05) y la edad (OR: 1,31; IC 95%: 1,03-1,67; p = 0,026) fueron predictores para la llegada a ciego. Conclusiones. Los factores predictores para una buena calidad en la colonoscopía son la buena preparación, el sexo masculino, la edad menor de 60 años y el uso de sedación.

Correspondencia: Clara Patricia Barreto Noratto

Correo electrónico: clara.barreto@uptc.edu.co

Palabras claves. Colonoscopía, indicadores de calidad en colonoscopía, tasa de detección de pólipos.

68 Acta Gastroenterol Latinoam 2023;53(1):68-75 ♦MANUSCRITO
ORIGINAL

Quality in Colonoscopy: Experience in an Endoscopy Center in Boyacá, Colombia

Summary

Introduction. Colorectal cancer ranks the third place in incidence in Colombia by 2020. Screening programs, such as colonoscopy, help to reduce deaths related to colorectal cancer deaths by 18 to 26%. Quality indices can be classified intopre-procedure, trans-procedure and post-procedure. For this reason, all endoscopist and institutions should have quality indicators. Aim. To evaluate the quality of colonoscopy and its predictors in an outpatient endoscopy center. Materials and methods. A cross-sectional study in patients over 18 years of age undergoing colonoscopy between February 2017 to March 2022 in a specialized endoscopy center based in Boyacá, Colombia, using a real-time instrument. The polyp detection rate and predictors of colonoscopy quality were determined. Results. 9760 records were collected, the rate of cecal intubation was 94.6%, while the detection rate of polyps was 17.1%. The time of removal of the endoscope (OR: 2.35; 95% CI: 1.92-2.88 p = 0.001), a Boston rating greater than 6 (OR 1.4 95% CI 1.1- 1.7 p < 0.005), sex (OR: 1.42; 95% CI: 1.27-1.59; p = 0.001) and age (OR: 2.24; 95% CI: 1.91-2.4; p = 0.001) were predictors for polyp detection. A Boston rating greater than 6 (OR: 37.8; 95% CI: 29.7-48; p < 0.05), sedation (OR: 7.87; 95% CI: 3.07-20.01; p < 0.05) and age (OR: 1.31; 95% CI: 1.031.67; p = 0.026) were predictors for cecal arrival. Conclusions. Predictors of good quality colonoscopy are good preparation, male sex, age under 60 years and use of sedation.

Keywords. Colonoscopy, colonoscopy quality indicators, polyp detection rate.

Abreviaturas

CCR: Cáncer colorrectal.

PEG: Polietilenglicol.

DE: Desviación estándar.

R: Rango.

CB≥6: Escala de Boston mayor o igual a 6.

RGSSS: Régimen general de seguridad en salud.

Introducción

El cáncer es una de las principales causas de muerte por enfermedades crónicas no transmisibles a nivel mundial. El cáncer colorrectal (CCR) ocupa el tercer puesto en incidencia en Colombia para el año 20201 y el cuarto en prevalencia, con 47,57 casos por cada 100.000 habitantes;2 la prevalencia en Boyacá para el 2020 fue de

34,90 por cada 100.000 habitantes. Los programas de tamizaje ayudan a reducir las muertes secundarias a CCR entre un 18% y un 26%.2 La colonoscopía es el método de preferencia para evaluar el colon en toda su extensión,3 siendo de elección para la detección temprana del CCR, entre otras indicaciones,4 con el objetivo de buscar un procedimiento de alta calidad en beneficio del usuario y lo más costoefectivo para el sistema de salud.

Los índices de calidad pueden clasificarse en preprocedimiento, transprocedimiento y posprocedimiento. Para medir la calidad durante la realización de la colonoscopía deben incluirse indicadores tales como: la tasa de llegada al ciego, la tasa de detección de adenomas y/o pólipos5 y el tiempo de retiro del colonoscopio.3, 6 Esta es la razón por la que todos los endoscopistas y las instituciones donde se realizan colonoscopías deberían medir estos indicadores de calidad. Una de las limitaciones principales es el fallo para la detección de adenomas, con tasas por debajo del 20%,6 lo que implicaría un mayor riesgo para desarrollar cánceres de intervalo. En Colombia, el uso de la colonoscopía es de libre orden por diferentes especialidades y médicos generales, de tal manera que las indicaciones, en ciertas ocasiones, no son pertinentes,7 y además no hay programas de uso masivo para tamizaje. Por lo tanto, el objetivo de este estudio fue evaluar la calidad de las colonoscopías y los factores predictores para obtener una colonoscopia de calidad.

Materiales y Métodos

Se realizó un estudio descriptivo analítico en una entidad que presta servicios de gastroenterología en cinco sedes en Boyacá, Colombia. Los sujetos de estudio fueron los pacientes mayores de 18 años programados para colonoscopía, desde febrero de 2017 hasta marzo del 2022. Se contó con un instrumento de recolección de datos (Google Forms), que fue completado en tiempo real por el médico encargado de la sedación, capacitado en la identificación del ciego, quien realizaba una entrevista previa al procedimiento y completaba el formulario inmediatamente finalizado este. Se excluyó a los pacientes con estenosis colónica infranqueable y antecedentes de colectomía. Por protocolo institucional, la colonoscopía se realiza bajo sedación, excepto cuando los usuarios la declinan voluntariamente. La preparación se recomienda con polietilenglicol (PEG) dosis única (4 litros), administrada el día previo al examen.8

Fueron incluidos indicadores de calidad transprocedimiento, como la llegada al ciego, el tiempo de retirada, la calidad de la preparación colónica, la detección de pólipos y la fotodocumentación. La llegada al ciego se definió como la presencia de una foto de ciego que incluyera el

69 Acta Gastroenterol Latinoam 2023;53(1):68-75
Calidad en colonoscopía: experiencia en un centro de endoscopía de Boyacá, Colombia Clara Patricia Barreto Noratto y col.

orificio apendicular, los pliegues cecales, la válvula ileocecal o la intubación del íleon. El tiempo de retirada fue medido a partir de la intubación cecal. A este, se le restó el tiempo destinado a la toma de biopsias y/o la realización de polipectomías. Para medir la calidad de la preparación colónica se utilizó la Escala de Boston,9 la cual tiene en cuenta la limpieza en tres sectores, siendo un puntaje de 9 el máximo. Se consideró un puntaje mayor o igual a 6 (CB≥6) como una preparación adecuada.6 Como indicadores posprocedimiento se midieron: eventos adversos, dolor y cánceres de intervalo.

Las variables sociodemográficas incluyeron: edad, afiliación al sistema colombiano de seguridad social en salud, sexo, indicación, colonoscopías previas, antecedentes familiares o personales de CCR, fármaco empleado para la preparación, complicaciones y la especialidad de quien practicó el procedimiento. Al ser un centro de remisión exclusivo para procedimientos endoscópicos, muchos de los pacientes no tuvieron seguimiento con los resultados de la anatomía histopatológica, razón por la cual se evaluó la tasa de pólipos en lugar de la tasa de detección de adenomas.

Análisis estadístico

En las variables cualitativas se determinaron frecuencias absolutas y relativas. Las variables continuas se manejaron con media y desviación estándar (DE) o mediana y rango intercuartilo (RIQ), según reporte de normalidad con la prueba de Kolmogorov-Smirnov. El cálculo de la tasa de detección de pólipos se realizó para la población total. Con las pruebas de chi cuadrado o prueba exacta de Fisher, se compararon los datos categóricos, y para las variables continuas se usó la prueba t de Student, considerando una p < 0,05 como significativa. Se utilizó una regresión logística binaria con el modelo Backward para determinar los factores predictores de detección de pólipo y llegada al ciego (variables dependientes), donde se utilizaron las variables significativas del análisis bivariado (p < 0,05): tipo de especialidad, edad mayor a 60 años, uso de sedación, CB≥6, medicamento empleado para la preparación colónica y tiempo de retiro. El instrumento inicial se captó a través de Google Forms, se depuraron y verificaron los ingresos en Excel 365 y los análisis estadísticos se llevaron a cabo en el programa SPSS 25.

Consideraciones éticas

El estudio fue aprobado por el Comité de Ética de Limeq SAS. Todos los pacientes firmaron un consentimiento informado para el procedimiento. Se contemplaron los principios fundamentales de la ética en investigación, de acuerdo con la Declaración de Helsinki versión 201310 y con la Resolución 008430 de 1993 del Ministe-

rio de Salud de Colombia,11 que, en el artículo 11, considera una investigación sin riesgo a aquella que no tiene manipulación directa del sujeto.

Resultados

Se recolectaron datos de 9760 colonoscopías realizadas a lo largo de seis años, habiéndose descartado 419 registros (4,29%) por criterios de exclusión. Predominó el sexo femenino con 59,3% (n=5537), los rangos de mediana de edad fue 52,2 (RIQ 41 - 63) (KolmogorovSmirnov < 0,05). Las indicaciones para el procedimiento fueron dolor abdominal (33%), sangrado digestivo (22,2%), síndrome de intestino irritable (11,8%), tamizaje (9,7%) y otros (23,3%) (Tabla 1).

Tabla 1. Características sociodemográficas de la población

Los valores son presentados en mediana (RIQ) o número (%). Fuente: elaboración de los autores.

70 Acta Gastroenterol Latinoam 2023;53(1):68-75
Calidad en colonoscopía: experiencia en un centro de endoscopía de Boyacá, Colombia Clara Patricia Barreto Noratto y col.
Variable Valor Edad mediana (años) 52,2 RIQ 41 - 63 Sexo Masculino 3804 40,7% Femenino 5537 59,3% Ciudad de realización Tunja 8102 86,7% Chiquinquirá 1095 11,7% Moniquirá 144 1,5% Seguridad Social Afiliado a RGSSS 8807 94,3% Particular 534 5,7% Realización última colonoscopia Primera vez 6061 64,9% Menos de 1 año 62 0,7% 1 a 3 años 1310 14,0% 4 a 5 años 722 7,7% Más de 5 años 1186 12,7% Indicación Dolor abdominal 3109 33,3% Sangrado digestivo 2076 22,2% Síndrome de intestino irritable 1098 11,8% Tamización 903 9,7% Estreñimiento 489 5,2% Diarrea crónica 360 3,9% Dolor rectal 345 3,7% Antecedente personal de pólipos 343 3,7% Antecedente familiar de CCR 273 2,9% Pérdida de peso 181 1,9% Otros 103 1,1% Antecedente personal de CCR 54 0,6% Antecedente familiar de pólipos 7 0,1%

Calidad en colonoscopía: experiencia en un centro de endoscopía de Boyacá, Colombia Clara Patricia Barreto Noratto y col.

Medición de los indicadores de calidad

La tasa global de intubación cecal fue del 94,6% y en un 31,6% (n=2959) de los casos se ingresó a íleon. El tiempo de retirada fue mayor de 6 minutos en un 86,6%. La preparación del colon fue adecuada (CB ≥ 6) en el 92,2% (n=8477) y no se realizó el registro de la escala de Boston en el 1,6% (n=145). La tasa de detección de pólipos fue del 17,25%, con una mediana de 1 (RIQ 1-8). Se realizó la fotodocumentación completa en el 94,6% (n=8839) de los exámenes. Las otras causas de no llegada al ciego se describen en la Tabla 2.

Tabla 2. Causas de no llegada al ciego

En el análisis bivariado para la evaluación de la calidad, tomando la totalidad de los procedimientos, se encontraron diferencias estadísticamente significativas en la detección de pólipos según la CB ≥ 6 (OR 1,51 IC95% 1,20-1,89 p < 0,05) y en el tiempo de retirada del endoscopio mayor a 6 minutos (OR 2,35 IC95% 1,92-1,88 p < 0,05). La preparación con PEG no proporcionó una ventaja para la detección de pólipos (OR 0,99 IC95% 0,73-1,16 p 0,51) pero resulto estadísticamente significativa para la llegada al ciego (OR 2,3 IC95% 1,73-3,1 p < 0,05). Las demás variables de interés se muestran en las Tablas 3 y 4.

Tabla 3. Detección de pólipos según variables de interés

71 Acta Gastroenterol Latinoam 2023;53(1):68-75
Causa Frecuencia Porcentaje Mala preparación 307 61,3% Marcada angulación 157 31,3% Ausencia de registro fotográfico 19 3,8% Cirugía o procedimiento previo 11 2,2% Dolor 3 0,6% Síndrome adherencial 3 0,6% Asa fija 1 0,2% Total 501 100% Fuente: elaboración de los autores.
Si No OR IC 95% p Especialidad del gastroenterólogo Cirujano 1226 5865 1,01 0,89-1,14 0,845 Internista 385 1865 Sexo Hombre 773 3031 1,43 1,2-1,59 0,001 Mujer 838 4699 Uso de sedación Sí 1603 7685 1,17 0,55-0,60 0,677 No 8 45 Escala de Boston ≥ 6 1508 6969 1,51 1,20-1,89 0,0001 < 6 90 629 Catártico usado PEG 1516 7306 0,92 0,73-1,16 0,51 Otros 95 424 Tiempo de retiro del endoscopio ≥ 6 minutos 1501 6592 2,35 1,92-2,88 0,0001 < 6 minutos 110 1138 Edad < 60 años 828 5383 0,46 0,41-0,51 0,0001 ≥ 60 años 783 2347 Detección de pólipos Fuente: elaboración de los autores.

Calidad en colonoscopía: experiencia en un centro de endoscopía de Boyacá, Colombia

Tabla

Con las variables significativas se realizó una regresión logística con el método de Backward, incluyéndose 9196 procedimientos. Los factores predictores para la detección de pólipos fueron: el tiempo de retirada del endoscopio, la clasificación de Boston, el sexo y la edad (Tabla 5).

Tabla

predictores para la detección de pólipos

* Modelo de regresión logística, variable dependiente pólipos detectados.

Tabla 6. Factores predictores para la llegada al ciego

Fuente: elaboración de los autores.

* Modelo de regresión logística, variable dependiente llegada al ciego.

Las variables que predicen llegada al ciego fueron CB≥6, la sedación y la edad (Tabla 6).

El 99,4% (n=9288) de los procedimientos fueron efectuados bajo sedación, sin presentar complicaciones severas relacionadas durante el tiempo observado.

72 Acta Gastroenterol Latinoam 2023;53(1):68-75
Sí No OR IC p Especialidad del gastroenterólogo Cirujano 6763 328 1,72 1,4-2,09 0,001 Internista 2076 174 Sexo Hombre 3594 210 0,95 0,79-1,14 0,603 Mujer 5245 292 Uso de sedación Sí 8797 491 4,69 2,4-9,1 0,001 No 42 11 Escala de Boston ≥ 6 8355 122 43,9 34,7-55,4 0,001 < 6 438 281 Catártico usado PEG 8377 445 2,3 1,73-3,1 0,001 Otros 462 57 Tiempo de retiro del endoscopio ≥ 6 minutos 7793 300 5,01 4,1-6,0 0,001 < 6 minutos 1046 202 Edad < 60 años 5919 292 1,45 1,24-1,75 0,001 ≥ 60 años 2920 210 Llegada a ciego Fuente: elaboración de los autores.
4. Llegada al ciego según variables de interés
Variable Respuesta (n) OR IC 95% p Tiempo de retiro del endoscopio ≥ 6 min 7993 2,35 1,92-2,88 0,001 < 6 min 1203 Escala de Boston ≥ 6 8477 1,40 1,1-1,7 0,004 < 6 719 Sexo Mujer 5452 1,42 1,27-1,59 0,001 Hombre 3744 Edad < 60 años 6118 2,24 1,91-2,4 0,001
5. Factores
Variable Respuesta (n) OR IC 95% p Escala de Boston ≥ 6 8477 37,8 29,7-48,0 0,001 < 6 719 Uso de sedación Sí 9147 7,87 3,07-20,1 0,001 No 49 Edad < 60 años 6118 1,31 1,03-1,67 0,026 ≥ 60 años 3078

Indicadores posprocedimiento

En el 99,9% (n=9331) de las colonoscopías no hubo eventos adversos. Durante los seis años se presentaron tres perforaciones, dos pacientes con dolor abdominal severo posprocedimiento, un desgarro mucoso y dos cánceres de intervalo.

Discusión

Los indicadores o medidas de calidad son considerados herramientas que apoyan la optimización de los procesos en la atención médica. Alcanzar logros como la adecuada preparación, un adecuado índice de detección de pólipos y de tasa de intubación cecal mejora la detección de CCR. La meta actual es una colonoscopía de alta calidad para la detección de patologías benigna y maligna.3, 12-14 Las unidades de gastroenterología deben tener como objetivo indicadores de calidad óptimos, con el fin de monitorear, mantener y buscar la excelencia en los procedimientos endoscópicos.12

Las principales indicaciones encontradas en la población objeto de estudio fueron el dolor abdominal y el síndrome de intestino irritable. La tasa de detección de pólipos es baja respecto de las estadísticas internacionales,14, 16 lo que podría explicarse debido a que las solicitudes para realizar las colonoscopías fueron de “forma abierta” y no específicamente en la población perteneciente al grupo de tamizaje. Sin embargo, dicha tasa se encuentra entre las cifras nacionales previamente informadas, entre el 14%15 y el 23,8%.17

En esta investigación, encontramos que la calidad de las colonoscopías realizadas fue óptima, medida por la llegada al ciego. De acuerdo con un estudio realizado en España,18 la tasa de intubación cecal fue superior en los centros ambulatorios en comparación con los universitarios. Valores similares se encontraron en nuestro estudio, en el que las intervenciones fueron realizadas en un ambiente ambulatorio, por especialistas con entrenamiento formal en colonoscopía, con baja rotación del personal y retroalimentaciones sobre la calidad reportada por el aplicativo de Google Forms, lo que podría estimular una mejora en la calidad de sus procedimientos (efecto Hawthorne).19-20

En la evaluación de los factores predictivos para la detección de pólipos y llegada al ciego, nuestras cifras son consistentes con estudios previos,21 donde se incluyeron la preparación colónica, el sexo masculino22 y la sedación.23 La realización del procedimiento por especialistas de diferentes ramas mostró una mayor detección de pólipos por parte de los cirujanos respecto de los internistas, concordante con un informe de años previos.24 Sin em-

bargo, estos datos pueden ser un factor de confusión ya que, al realizar el análisis multivariado, esta característica no fue significativa.

Los cánceres de intervalo son secundarios a lesiones no detectadas25 y los exámenes incompletos están relacionados con esta patología. En nuestro estudio, el cáncer de intervalo resultó inferior a la tasa reportada en una investigación inglesa.26 No obstante, en nuestra investigación, la población estudiada tenía indicaciones inadecuadas, como el dolor abdominal y el síndrome de intestino irritable, tal como se halló en otro estudio en Colombia.7

Complicaciones serias posteriores a la colonoscopía, como perforaciones y sangrados, se presentaron solo en el 1% de la población, siendo estas cifras más bajas que las de los reportes internacionales.16, 18 -19

Las limitaciones del estudio incluyen la no evaluación de los adenomas en pólipos resecados y la alta proporción de pacientes que fueron remitidos sin indicación clara para la colonoscopía, lo que puede llevar a la no generalización de los hallazgos. Dentro de las fortalezas, se incluyen el tamaño de la población, que refleja una rutina diaria de realización de colonoscopías por los mismos profesionales, y el tiempo del estudio.

Debe insistirse en la educación a la comunidad médica sobre las indicaciones de la colonoscopía, así como debe educarse al usuario en su preparación, ya que una buena preparación conlleva a un adecuado examen, si este es practicado por un profesional entrenado y con la tecnología apropiada.

Conclusión

Los factores predictores para una buena calidad en la colonoscopía son una adecuada preparación, el sexo masculino, la edad menor de 60 años y el uso de sedación. El hecho de utilizar un método de medición de calidad inmediato proporciona información sobre la calidad de las colonoscopías realizadas y podría influir en la tasa de detección de pólipos. El uso de un plan para la evaluación de variables asociadas a la calidad podría mejorarla (efecto Hawthorne).

Consentimiento para la publicación. Para la confección de este manuscrito, se utilizaron datos anonimizados que no han distorsionado su significado científico.

Propiedad intelectual. Los autores declaran que los datos y las tablas presentes en el manuscrito son originales y se realizaron en sus instituciones pertenecientes.

Financiamiento. Los autores declaran que no hubo fuentes de financiación externas.

73 Acta Gastroenterol Latinoam 2023;53(1):68-75
Calidad en colonoscopía: experiencia en un centro de endoscopía de Boyacá, Colombia Clara Patricia Barreto Noratto y col.

Calidad en colonoscopía: experiencia en un centro de endoscopía de Boyacá, Colombia Clara Patricia Barreto Noratto y col.

Conflicto de interés. Los autores declaran no tener conflictos de interés en relación con este artículo.

Aviso de derechos de autor © 2023 Acta Gastroenterológica Latinoamericana. Este es un artículo de acceso abierto publicado bajo los términos de la Licencia Creative Commons Attribution (CC BY-NC-SA 4.0), la cual permite el uso, la distribución y la reproducción de forma no comercial, siempre que se cite al autor y la fuente original

Cite este artículo como: Barreto Noratto C P, Limas Solano L M y González C A. Calidad en colonoscopía: experiencia en un centro de endoscopía de Boyacá, Colombia Acta Gastroenterol Latinoam. 2023; 53(1):68-75. https:// doi.org/10.52787/agl.v53i1.289

9. Lai EJ, Doros G, Fix OK, Jacobson BC. The Boston bowel preparation scale: A valid and reliable instrument for colonoscopy-oriented research. Gastrointest Endosc [Internet]. 2009;65(5): AB361. http://dx.doi.org/10.1016/j.gie.2008.05.057

10. Asociación Médica Mundial. Declaración de Helsinki - Principios éticos para las investigaciones médicas en seres humanos. Asoc Médica Mund [Internet]. 2013;1-8. www.redsamid. net/archivos/ 201606/2013-declaracion-helsinki-brasil. pdf?1

11. Ministerio de Salud de Colombia. Resolución 8430 de 1993 [Internet]. Ministerio de Salud Bogotá. 1993. https://www.minsalud. gov.co/sites/rid/Lists/BibliotecaDigital/RIDE/DE/DIJ/RESOLU CION-8430-DE-1993.PDF

12. Rizk MK, Sawhney MS, Cohen J, Pike IM, Adler DG, Dominitz JA, et al. Quality indicators common to all GI endoscopic procedures. Gastrointest Endosc [Internet]. 2015;81(1):3-16. DOI: 10.1016/j.gie.2014.07.055

13. Rex DK, Boland CR, Dominitz JA, Giardiello FM, Johnson DA, Kaltenbach T, Levin TR, Lieberman D, Robertson DJ. Colorectal Cancer Screening: Recommendations for Physicians and Patients from the U.S. Multi-Society Task Force on Colorectal Cancer. Am J Gastroenterol. 2017;112(7):1016-30. DOI: 10.1038/ajg.2017.174. Epub 6 de junio de 2017. PMID: 28555630.

Referencias

1. Globocan CC. Colombia fact sheets [Internet]. 2021;509;2020-1 [citado el 15 de noviembre de 2021]. https://gco.iarc.fr/today/ data/factsheets/populations/170-colombia-fact-sheets.pdf

2. Cuenta de alto costo. Situación del cáncer en la población adulta atendida en el SGSSS de Colombia 2020. 2021:1-396. https://cuentadealtocosto.org/site/wp-content/uploads/2021/11/CAC.Co_2021 _11_3_Libro_Sit_cancer2020_v5.pdf

3. Rex DK, Schoenfeld PS, Cohen J, Pike IM, Adler DG, Fennerty MB, Lieb JG 2nd, Park WG, Rizk MK, Sawhney MS, Shaheen NJ, Wani S, Weinberg DS. Quality indicators for colonoscopy. Gastrointest Endosc. 2015;81(1):31-53. DOI: 10.1016/j. gie.2014.07.058. Epub 2 de diciembre de 2014. PMID: 25480100.

4. Luis F, Moncayo G. Guías para mejorar la calidad en endoscopía digestiva. Soc Interam Endosc Dig. 2009;1:43.

5. Gohel TD, Burke CA, Lankaala P, Podugu A, Kiran RP, Thota PN, Lopez R, Sanaka MR. Polypectomy rate: a surrogate for adenoma detection rate varies by colon segment, gender, and endoscopist. Clin Gastroenterol Hepatol. 2014;12(7):1137-42. DOI: 10.1016/j.cgh.2013.11.023. Epub 4 de diciembre de 2013. PMID: 24315881.

6. Shine R, Bui A, Burgess A. Quality indicators in colonoscopy: an evolving paradigm. ANZ J Surg [Internet]. 2020;90(3):215-21. Disponible en: 10.1111/ans.15775

7. Otero W, Rodríguez H, Gómez M. Pertinencia de la colonoscopía en dos unidades de gastroenterología de Bogotá, Colombia. Rev Colomb Gastroenterol [Internet]. 2008;23(2):101-10. www. redalyc.org/articulo.oa?id=337731587003

8. Germán CP, Diego AM, Carlos CO, Carlos G, Carlos GS, Javier PA. A randomized controlled clinical trial of the efficacy and safety of colonoscopy preparation using a single four liter dose of polyethylene glycol (PEG) vs. two 2 liter doses of PEG vs. two low volume (1L + 1L) doses of PEG. Rev Colomb Gastroenterol [Internet]. 2019;34(2):144-51. DOI: 10.22516/25007440.393

14. Keswani RN, Crockett SD, Calderwood AH. AGA Clinical Practice Update on Strategies to Improve Quality of Screening and Surveillance Colonoscopy: Expert Review. Gastroenterology [Internet]. 2021;161(2):701-11. https://doi.org/10.1053/j. gastro.2021.05.041

15. Gómez Rodríguez A, Marrugo Padilla KT. Caracterización clínica y endoscópica de los pacientes llevados a colonoscopía en el Hospital Universitario Samaritana 2017-2018 [Internet]. Universidad del Rosario. 2020. https://repository.urosario.edu.co/ handle/10336/20967

16. Waldmann E, Gessl I, Sallinger D, Jeschek P, Britto-Arias M, Heinze G. Trends in quality of screening colonoscopy in Austria. Endoscopy [Internet]. 2016;48(12):1102-9. DOI: 10.1055/s-0042113185

17. Rodríguez JA. Prevalencia de pólipos de colon, adenomas y cáncer colorrectal en pacientes con colonoscopía total de tamización en una institución universitaria de Bogotá. 2018. https://repositorio. unal.edu.co/handle/unal/62905

18. Portillo I, Idigoras I, Bilbao I, Arana-Arri E, Fernández-Landa MJ, Hurtado JL, Sarasaqueta C, Bujanda L; EUSKOLON study investigators. Colorectal cancer screening program using FIT: quality of colonoscopy varies according to hospital type. Endosc Int Open. 2018;6(9):E1149-E1156. DOI: 10.1055/a-06551987. Epub 11 de septiembre de 2018. PMID: 30211306; PMCID: PMC6133681.

19. Kim SY, Kim HS, Park HJ. Adverse events related to colonoscopy: Global trends and future challenges. World J Gastroenterol [Internet]. 2019;25(2):190-204. DOI: 10.3748/wjg.v25. i2.190

20. Díaz-Tasende J. Colonoscopía: cuando la calidad importa. Rev Española Enfermedades Dig [Internet]. 2022;114(19):314-6. DOI: 10.17235/reed.2022.8942/2022

21. Roldán-Molina LF, León-Ramírez SM, Roldán-Delfino LM, Márquez-Molina S, Núñez-Cabarcas EE, Pérez-Useche HM, et al. Can We Use the Indication for a Colonoscopy as a Predictor of the Adenoma Detection Rate? Rev Colomb Gastroenterol [Internet]. 2022;37(1):41-7. DOI: 10.22516/25007440.743

74 Acta Gastroenterol Latinoam 2023;53(1):68-75

Calidad en colonoscopía: experiencia en un centro de endoscopía de Boyacá, Colombia

22. Inra JA, Nayor J, Rosenblatt M, Mutinga M, Reddy SI, Syngal S, Kastrinos F. Comparison of Colonoscopy Quality Measures Across Various Practice Settings and the Impact of Performance Scorecards. Dig Dis Sci. 2017;62(4):894-902. DOI: 10.1007/s10620016-4410-0. Epub 19 de diciembre de 2016. PMID: 27995405.

23. Rembacken B, Hassan C, Riemann JF, Chilton A, Rutter M, Dumonceau JM, et al. Quality in screening colonoscopy: Position statement of the European Society of Gastrointestinal Endoscopy (ESGE). Endoscopy [Internet]. 2012;44(10):957-68. http://doi. org/10.1055/s-0032-1325686

24. Rex DK, Bond JH, Winawer S, Levin TR, Burt RW, Johnson DA, Kirk LM, Litlin S, Lieberman DA, Waye JD, Church J, Marshall JB, Riddell RH; U.S. Multi-Society Task Force on Colorectal Cancer. Quality in the technical performance of colonoscopy and the continuous quality improvement process for colonoscopy: recommendations of the U.S. Multi-Society Task Force on Colorectal Cancer. Am J Gastroenterol. 2002;97(6):1296-308. DOI: 10.1111/j.1572-0241.2002.05812.x. PMID: 12094842.

25. Le Clercq CMC, Bouwens MWE, Rondagh EJA, Bakker CM, Keulen ETP, De Ridder RJ, et al. Postcolonoscopy colorectal cancers are preventable: A population-based study. Gut [Internet]. 2014;63(6):957-63. DOI: 10.1136/gutjnl-2013-304880

26. Anderson R, Burr NE, Valori R. Causes of Post-Colonoscopy Colorectal Cancers Based on World Endoscopy Organization System of Analysis. Gastroenterology [Internet]. 2020;158(5):12871299.e2. DOI: 10.1053/j.gastro.2019.12.031

75 Acta Gastroenterol Latinoam 2023;53(1):68-75

Uso de plasma rico en plaquetas autólogo en el tratamiento de la fisura anal crónica: una serie de casos

Instituto Proctológico Doctor Padrón. Las Palmas de Gran Canaria y Santa Cruz de Tenerife, España.

Acta Gastroenterol Latinoam 2023;53(1):76-83

Recibido: 29/12/2022 / Aceptado: 09/03/2023 / Publicado online: 30/03/2023 / https://doi.org/ 10.52787/agl.v53i1.290

Resumen

Introducción. La fisura anal crónica constituye una de las patologías proctológicas más frecuentes e invalidantes. Su manejo terapéutico se complica en pacientes con recidivas o riesgo elevado de incontinencia anal. Objetivo. Evaluar la efectividad de la infiltración de plasma rico en plaquetas autólogo para lograr la cicatrización de la fisura anal crónica. Material y métodos. Se llevó a cabo un estudio observacional retrospectivo descriptivo en 16 pacientes tratados con plasma rico en plaquetas autólogo en nuestro centro por fisura anal crónica. Resultados. La evolución fue satisfactoria en todos los pacientes ya que en el 94% de ellos había disminuido o desaparecido la proctalgia durante las primeras 48 horas y, al mes del tratamiento, en el 89% de los pacientes había cicatrizado la fisura. Limitaciones: Este estudio estuvo limitado por el pequeño tamaño de la muestra. Asimismo, no se informó el seguimiento a largo plazo de los pacientes. Conclusión. El uso de plasma rico en plaquetas autólogo

puede plantearse como una alternativa para el tratamiento médico de la fisura anal, con buenos resultados, destacándose la resolución de la proctalgia en las primeras 48 horas.

Palabras claves. Plasma rico en plaquetas, fisura anal crónica, cicatrización, proctalgia.

Use of Autologous Platelet-Rich Plasma in the Treatment of Chronic Anal Fissure: A Case Series

Summary

Correspondencia: Neith Ortega Pérez Correo electrónico: neithortega@gmail.com

Introduction. A chronic anal fissure is one of the most frequent and disabling proctologic pathologies. Its therapeutic management is complicated in patients with recurrence or high risk of anal incontinence. Objective. This study aims to demonstrate the effectiveness of autologous platelet-rich plasma infiltration in the treatment of chronic anal fissure. Material and methods. A descriptive retrospective observational study was carried out in 16 patients treated at our center for chronic anal fissure with autologous platelet-rich plasma. Result. The evolution was satisfactory in all the patients, since in 94% of them the proctalgia had diminished or disappeared during the first 48 hours. One month after treatment, 89% of patients had healed the fissure. Limitations: This study was limited by its small sample size. In addition, long-term follow-up of the patients was not reported. Conclusions. The use of autologous platelet-rich plasma is an alternative in the medical treatment of anal fissure with

76 Acta Gastroenterol Latinoam 2023;53(1):76-83 ♦
MANUSCRITO ORIGINAL

Uso de plasma rico en plaquetas autólogo en el tratamiento de la fisura anal crónica: una serie de casos Neith Ortega Pérez

good results, highlighting the resolution of proctalgia in the first 48 hours.

Keywords. Platelet-rich plasma, chronic anal fissure, healing, proctalgia.

Abreviaturas

ELI: Esfinterotomía lateral interna.

PRP: Plasma rico en plaquetas.

DM: Diabetes mellitus.

Introducción

La fisura anal se define como una ulceración lineal dolorosa que se sitúa en el canal anal. Se caracteriza por una intensa proctalgia durante y tras la defecación, que puede estar acompañada de sangrado y dificultad para la deposición.1, 2 En la fisura anal crónica, los síntomas persisten por más de 8 semanas y no responden bien al tratamiento médico. Se trata de una dolencia muy frecuente, que produce un dolor desproporcionado para el tamaño y el aspecto de la lesión.1

Aunque se trata de una patología muy frecuente, el origen etiopatogénico de la fisura anal no está totalmente establecido y no se han resuelto todos los factores que pueden influir en su etiología. Se desconoce por qué ciertas fisuras se curan, mientras que otras persisten. Sin embargo, se acepta que el principal factor relacionado con el desarrollo de una fisura es el traumatismo del canal anal, generalmente por el pasaje de materia fecal voluminosa y de consistencia dura.3, 4

Históricamente, el abordaje más efectivo ha sido el quirúrgico, siendo las técnicas más utilizadas: la dilatación anal, la esfinterotomía lateral interna (ELI) abierta o cerrada, la esfinterotomía de la línea media posterior y, en menor grado, un colgajo dérmico para el recubrimiento de la fisura.2, 3 Anteriormente se pensaba que la morbilidad de estos procedimientos, sobre todo la incontinencia, era infrecuente, pero en estudios recientes ha sido bastante significativa, presentando tasas de incontinencia con la ELI de entre un 9% y 30%.1-4 Por ello, han surgido nuevas opciones de tratamiento médico con el objetivo de evitar el abordaje quirúrgico. Los tratamientos médicos específicos más empleados en la actualidad incluyen: pomada o parche dérmico de nitroglicerina, inyección de toxina botulínica, dilatadores anales, bloqueadores de los canales de calcio administrados en forma de pomada o comprimidos (diltiazem o nifedipina), formadores de masa (salvado u otras formas de fibra), pomadas de anestésicos tópicos (principalmente lidocaína) o hidrocortisona y dos relajantes adicionales del músculo liso

(indoramina y minoxidil).2, 3 Desde el año 2015 se han publicado artículos que presentan el plasma rico en plaquetas (PRP) como un tratamiento exitoso para la fisura anal. Uno de los más relevantes es el de Gökhan Yilmaz y Yusuf Tanrikulo (2021) que evalúa el PRP autólogo como una alternativa médica para el tratamiento de la fisura anal crónica.3, 4

El problema principal radica en aquellos pacientes intervenidos previamente por fisura anal con ELI completa o en aquellos con incontinencia anal o con riesgo elevado de desarrollarla. En estos casos el tratamiento de la fisura anal resulta más complejo, convirtiéndose en un verdadero reto.3-5

El PRP autólogo se define como una porción del plasma propio con una concentración plaquetaria y factores de crecimiento superiores a los basales, obtenidos mediante centrifugación. Las plaquetas contienen en sus gránulos α unas proteínas (PDGF, FCT-β, IL-1, FADP, VEGF, ECGF, osteocalcina, osteonectina, fibrinógeno, fibronectina y trombopondina) que poseen múltiples acciones sobre diferentes aspectos de la reparación tisular. Las plaquetas comienzan a secretar estas sustancias 10 minutos después de la formación del coágulo y, tras una liberación masiva, sintetizan proteínas durante 5 días más hasta que los macrófagos llegan al foco de crecimiento vascular y asumen la regulación de la reparación tisular.3

El objetivo del tratamiento con PRP autólogo es aprovechar el contenido de los gránulos de las plaquetas para estimular la curación y la regeneración de los tejidos, de manera que recuperen su función original tras haber sufrido una lesión.5 Asimismo, la sencillez de la técnica y la ausencia de complicaciones severas avala la seguridad en la aplicación de este tratamiento. De ahí que su empleo se haya extendido a múltiples especialidades médicas. En sus inicios se empleó en cirugía maxilofacial y, más tarde, en otras especialidades como cirugía torácica, cardiovascular y plástica, medicina estética, traumatología, oftalmología y nefrología.3-7

En este estudio, se pretende evaluar la efectividad de la infiltración de PRP autólogo en el tratamiento de la fisura anal crónica.

Materiales y Métodos

Diseño del estudio

Se llevó a cabo un estudio observacional retrospectivo descriptivo de pacientes tratados entre mayo y septiembre de 2022 en el Instituto Proctológico Dr. Padrón en Las Palmas y en Santa Cruz de Tenerife. El estudio fue aprobado por el comité ético institucional de nuestra clínica en julio de 2022, cumpliendo el Real Decreto Español 223/2004 y los principios éticos básicos de la declaración de Helsinki.

77 Acta Gastroenterol Latinoam 2023;53(1):76-83

Uso de plasma rico en plaquetas autólogo en el tratamiento de la fisura anal crónica: una serie de casos

Se firmaron consentimientos informados antes de realizar la técnica. Asimismo, nuevos consentimientos fueron firmados luego del tratamiento, con el fin de obtener la autorización para la utilización de las imágenes y de los resultados obtenidos.

Pacientes

Los criterios de inclusión utilizados fueron: pacientes mayores de 18 años, con diagnóstico de fisura anal crónica sin hipertonía del esfínter anal interno, tratados previamente con persistencia o recidiva de la fisura(tratamiento médico y toxina botulínica o tratamiento médico y ELI). En pacientes con hipertonía del esfínter anal interno, el tratamiento indicado fue la ELI por ser el patrón de oro en la actualidad. En aquellos pacientes con fisura anal crónica con recidiva o persistencia, se descartaron causas secundarias que perpetuaban la lesión. Los criterios de exclusión absolutos fueron: pacientes con serología positiva para VIH no controlados con alta carga viral, VHB, VHC, sífilis, clamidia o gonorrea; pacientes con patología oncológica, y pacientes con anemia severa (Hemoglobina < 7 gr/dl) o infección aguda en zona perianal.

A todos los pacientes se les dieron recomendaciones sobre la mejora de los hábitos higiénico-dietéticos. Para el estudio preoperatorio se realizó una anamnesis completa y una exploración física perianal en posición genupectoral sobre mesa proctológica. A todos se les realizó tacto rectal para la valoración del tono del esfínter anal interno, y anoscopia a aquellos que no presentaban proctalgia ni hipertonía. Cuando fue posible, a los pacientes intervenidos quirúrgicamente se les realizó una ecografía endoanal para confirmar la correcta realización de la esfinterotomía previa.

Las variables estudiadas fueron: edad, sexo, obesidad, diabetes mellitus (DM), hipertensión arterial, anticoagulación/antiagregación, tabaquismo, estreñimiento, tratamiento médico previo (calcioantagonistas, nitratos orgánicos) y tratamiento quirúrgico previo (toxina botulínica ELI).

Las variables planteadas para el objetivo del estudio fueron: la disminución o desaparición de la proctalgia, la reducción del tamaño de la fisura y su cierre en profundidad, valorados en la exploración física a las 2 semanas de la administración del PRP autólogo. Se elaboró un cuestionario (apéndice A) para evaluar la evolución del dolor de los pacientes antes y después de la intervención.

Técnica quirúrgica

Para la elaboración del PRP autólogo se extraen 20 cc de sangre del paciente, utilizando el kit cerrado PRP TLAB (clase IIb). Se centrifugan dos tubos durante 10 minutos a 2000 rpm. A continuación, se extrae el factor rico en plaquetas en el primer tubo y se almacena el factor

pobre en plaquetas en el segundo tubo. Este tubo con factor pobre en plaquetas se calienta en dos bateas estériles de acero a baño María, para elaborar el gel que se deja en el lecho de la fisura. Es imprescindible activar el tubo que contiene el PRP con cloruro cálcico al 10%, en una proporción de 0,05 ml de cloruro cálcico por 1 ml de PRP, 10 minutos antes de su infiltración.

El procedimiento se realiza colocando a los pacientes en posición genupectoral sobre la camilla proctológica. Se administra anestesia local con mepivacaína. Posteriormente, tras la asepsia sobre la zona perianal con povidona yodada, el PRP se infiltra en profundidad sobre el lecho y los bordes de la fisura con agujas de mesoterapia de 30 G. Tras la infiltración del PRP se realiza asepsia nuevamente con povidona yodada, se lava con suero fisiológico y se aplica el gel de plasma pobre en plaquetas elaborado previamente sobre el lecho.

La intervención se hace de forma ambulatoria, dura alrededor de 20 minutos y no es necesario realizar reposo a continuación. Al concluir el procedimiento, se entrega al paciente el gel pobre en plaquetas sobrante para su aplicación nocturna. No se requieren cuidados posoperatorios, salvo evitar manipulaciones sobre la zona, y no se pautan otros tratamientos tópicos asociados.

Seguimiento

Se realizaron un control telefónico al día siguiente de la intervención y controles presenciales, a las 2 semanas y al mes. Tras finalizar la intervención, se entregó un cuestionario para valorar el dolor durante la intervención, el dolor a las 2 semanas del tratamiento y la satisfacción con el procedimiento.

En las revisiones, se evaluó si habían mejorado o desaparecido los síntomas de proctalgia, escozor o sangrado. Se hizo especial hincapié en valorar la evolución del dolor que fue el síntoma prioritario que indicó el tratamiento. También se valoró el aspecto de la fisura, observando si se había reducido su tamaño o si había cicatrizado completamente o en profundidad. En la mayoría de los casos, se pudieron comparar estos aspectos anatómicos al revisar las fotografías previas, que habitualmente se realizan antes de la infiltración del PRP y a las 2 semanas en la revisión en consulta, siendo almacenadas en la historia clínica. Se toman imágenes de forma sistemática en todos los pacientes.

A los 6 meses se realizó un control telefónico y, si persistían los síntomas de fisura, se les ofrecía a los pacientes una revisión para seguimiento en consulta.

Análisis estadístico

Se realizó un análisis descriptivo. Para las variables cualitativas se midieron las frecuencias con sus porcen-

78 Acta Gastroenterol Latinoam 2023;53(1):76-83

Uso de plasma rico en plaquetas autólogo en el tratamiento de la fisura anal crónica: una serie de casos Neith Ortega Pérez

tajes y, en las variables cuantitativas, la tendencia central y las medidas de dispersión (media, desviación estándar, mínimo y máximo).

Resultados

De los 53 pacientes con diagnóstico de fisura anal crónica, 16 (8 mujeres y 8 varones) fueron seleccionados para el tratamiento (Figura 1 A).

Todos ellos cumplieron los criterios de inclusión y aceptaron participar en el estudio, siendo las características previas a la intervención las que se recogen en la Tabla A.1

El diagnóstico de fisura anal se estableció mediante la valoración de la clínica y la exploración física, con un tiempo promedio de sintomatología de 3,3 ± 1,7 meses antes de la infiltración de PRP autólogo. La localización de la fisura en el 89% de los casos fue posterior. La edad media de los pacientes fue de 47,4 ± 9,94, constituyendo el sexo femenino el 50% de los casos. El 89% de los pacientes eran sujetos sanos sin comorbilidades importantes; solo dos de ellos presentaban obesidad, y uno de ellos también

DM tipo 2 e HTA. Ninguno de los participantes estaba anticoagulado o antiagregado y tampoco se trataba de personas fumadoras. El 63% de los pacientes presentaba estreñimiento crónico, de los cuales solo el 40% lo tenía controlado con la toma de suplementos de fibra en la dieta.

En cuanto a la sintomatología, la proctalgia estaba presente en todos los pacientes, mientras que el sangrado en el 89%. Todos los pacientes recibieron tratamiento médico previo, en su mayoría (el 81%) con calcioantagonistas tópicos (fórmula magistral de diltiazem al 2%). Debido a la no cicatrización, el 44% se sometió a ELI, predominando la técnica cerrada (25%). El resto de los pacientes no fueron intervenidos quirúrgicamente con ELI, dada la ausencia de hipertonía del esfínter anal interno al realizarse el tacto rectal. Debido a la persistencia a la exploración física de la fisura y la proctalgia, se les realizó una ecografía endoanal a aquellos pacientes intervenidos previamente con ELI, para comprobar la correcta realización de la técnica de esfinterotomía, sin tener que reintervenir a ningún paciente.

79 Acta Gastroenterol Latinoam 2023;53(1):76-83
inclusión 16 curación de la fisura 1 mejora sin cicatrización completa de la fisura 1 reintervención 6 o médico + ELI previa* 3 Hipertonía 3 Sin Hipertonía 9 tratamiento médico 2 Hipertonía 7 Sin Hipertonía 53 pacientes con diagnós co de fisura anal en los que falló el tratamiento médico 16 pacientes seleccionados/as para PRP
pacientes excluídos por fistulización de la fisura
pacientes excluídos por serología posi va 33 pacientes ELI 16 pacientes tratamiento PRP 1 o médico + toxina botulínica 1 Hipertonía
Figura 1 A. Flujograma de
2
2

Uso de plasma rico en plaquetas autólogo en el tratamiento de la fisura anal crónica: una serie de casos Neith Ortega Pérez

Tabla A 1. Características previas a la intervención

En la aplicación del tratamiento, el 81% precisó infiltración de anestesia local previa para la correcta inyección de PRP autólogo. Ninguno de los pacientes presentó complicaciones inmediatas de gravedad, únicamente molestias en la zona de infiltración, ausente en aquellos a los que se les administró previamente anestesia local. La evolución fue satisfactoria en todos los pacientes, ya que en la revisión presencial o telefónica a las 24 horas, en el 94% de los pacientes había disminuido o desaparecido la proctalgia. En la revisión a las dos semanas tras el tratamiento, en todos los pacientes se había reducido el tamaño de la fisura y se había cerrado en profundidad sin molestias asociadas (Figuras. A2 y A3). Al mes del tratamiento, en el 89% de los pacientes la fisura había cicatrizado, y solo uno de los pacientes precisó una nueva infiltración de PRP autólogo. En este paciente la fisura desapareció a los dos meses tras la primera sesión de tratamiento con PRP autólogo.

El cuestionario de satisfacción tras el tratamiento que se recogió a las dos semanas para valorar el procedimiento reflejó que en el 65% de los pacientes resultó doloroso. El 70% de los casos solo presentó molestias leves tras el tratamiento (a las dos semanas), un 15% presentó dolor escaso y el resto ninguna molestia. Asimismo, el 100% de los pacientes tratados con PRP autólogo recomendó la intervención.

Discusión

La fisura anal crónica es una patología muy dolorosa que provoca una alta incapacidad sociolaboral. Además, sabemos que constituye una de las patologías proctológicas más frecuentes, para la que se han desarrollado múltiples alternativas terapéuticas. Los abordajes médicos modernos, como la inyección de toxina botulínica, están cada vez más extendidos pero el patrón de oro sigue siendo la la ELI.

El origen etiopatogénico de la fisura no está totalmente establecido y no se han resuelto todos los factores que pueden participar en su etiología y cronicidad.2 No obstante, la mayoría de las investigaciones han encontrado que las presiones en reposo del esfínter anal interno son más altas en pacientes con fisuras que en los controles normales. Esta hipertonía puede causar fisuras anales cró-

80 Acta Gastroenterol Latinoam 2023;53(1):76-83
Características N (%) Edad* (años) 47,4 ± 9,94 (35-66) Sexo: Femenino 8 (50%) Obesidad (IMC ≥ 30) 2 (12%) Diabetes mellitus 1 (6%) Hipertensión arterial 1 (6%) Anticoagulación/antiagregación 0 Tabaco 0 Estreñimiento 10 (63%) Tratamiento médico: 16 (100%) Botox® 0 Calcioantagonistas (diltiazem) 13 (81%) Nitratos orgánicos (Rectogesic®) 1 (6%) Otros 1 (6%) Cirugías previas: 7 (44%) Esfinterotomía lateral interna total 7 (44%) -abierta 3 (19%) -percutánea 4 (25%)
*Media ± desviación estándar (rango). X ± DE (mín. - máx.). Figura A 2 y A 3. Foto antes de la intervención y foto en la revisión a las 2 semanas A 2
A 3

Uso de plasma rico en plaquetas autólogo en el tratamiento de la fisura anal crónica: una serie de casos Neith Ortega Pérez

nicas al producir isquemia de la mucosa en el canal anal posterior, lo que conlleva un retraso en la cicatrización.1-3

Las fisuras secundarias pueden ocurrir como resultado de una alteración anatómica, un traumatismo, enfermedades infecciosas y tumores; o bien de una enfermedad inflamatoria intestinal, en particular la enfermedad de Crohn.1

Se ha comprobado en diversos estudios que el tratamiento médico de la fisura anal aguda y crónica aumenta las tasas de curación y puede emplearse con pocos efectos adversos a largo plazo. Además, la mayoría afirman que la nitroglicerina, la toxina botulínica o los bloqueadores de los canales de calcio podrían utilizarse en individuos que no desean un tratamiento quirúrgico, reservándose la cirugía para los casos de fracaso del tratamiento médico. Sin embargo, resulta relativamente frecuente la recurrencia tardía después del tratamiento médico.4, 8

En la literatura actual, se recogen múltiples aplicaciones del PRP autólogo, empleado como arsenal terapéutico tanto para tratar diversas patologías en traumatología, neurocirugía, cirugía maxilofacial y vascular, así como para fines estéticos.

La mayor parte de los estudios sobre el uso del PRP autólogo en el campo de la proctología se centran en el tratamiento de fístulas perianales complejas o en pacientes con enfermedad inflamatoria intestinal.5, 6 Hay bastante bibliografía y descripción de casos sobre el uso de PRP en fístulas complejas, con una variabilidad de resultados, dado que no se trata de un procedimiento protocolizado y tiene múltiples limitaciones. No obstante, se postula como una alternativa eficiente y sin complicaciones, con resultados favorables en entre el 40% y 60% de los pacientes, según las series. Aunque la mayoría no describen las tasas de recurrencia a corto y largo plazo, coinciden en la mejoría de la calidad de vida de estos pacientes. Además, se trata de un procedimiento seguro, sin riesgo de rechazo y con poco riesgo de infección, con una mínima curva de aprendizaje y sin riesgo de incontinencia anal.3-7,9-10 Su éxito en el tratamiento de la fístula perianal, así como en diversas patologías de otras especialidades médicas, motiva su administración en la fisura anal.

Gökhan y Yusuf (2021) destacan la insuficiente investigación sobre el uso del PRP en el tratamiento de la fisura anal y presentan un estudio que lo evalúa el PRP como alternativa médica para el tratamiento de la fisura anal crónica. Presentan un ensayo clínico controlado y aleatorizado de dos grupos paralelos de 44 pacientes con diagnóstico de fisura anal crónica. En sus resultados, el grupo de pacientes al que se le administró PRP autólogo tuvo una reducción del dolor significativamente mayor que el grupo control, lo que coincide con nuestros hallazgos, ya que en el 94% de nuestros pacientes la proctalgia disminuyó en las primeras 24 horas. Asimismo, en los pacientes

tratados con PRP, las tasas de epitelización completa y recuperación resultaron significativamente mayores que en los pacientes del grupo control, coincidiendo nuevamente con nuestros resultados. Además, tomaron como principal medida de resultado la disminución en las puntuaciones de dolor, siendo significativamente menores en los pacientes con PRP que en los controles.3

Gamal (2015) también llevó a cabo un estudio prospectivo aleatorizado de 23 pacientes con fisura anal crónica a los que les administró PRP autólogo, obteniéndose la cicatrización completa en el 74% de estos, lo que refleja el claro beneficio de su uso en el tratamiento de la fisura anal crónica, como evidenciamos en nuestro estudio.4

El mecanismo de acción del PRP autólogo en la fisura anal aborda el problema de la cicatrización de la fisura. Este abordaje se diferencia del tratamiento con toxina botulínica o de la ELI, que buscan solucionar la hipertoníadel esfínter anal. Esto hace que su indicación sea diferente y complementaria a otros tratamientos, especialmente adecuada para pacientes en los que no hay hipertonía del esfínter anal pero persiste el dolor y se observa ausencia de cicatrización de la fisura.

En nuestro estudio, el procedimiento fue efectivo en todos los pacientes, no presentó complicaciones graves y resolvió la proctalgia en las primeras 48 horas, con un efecto máximo a los 20 días desde su aplicación. Todo ello respaldaría el uso del PRP autólogo en el tratamiento de la fisura anal, sobre todo en las recidivas y en las persistencias, con el objetivo de limitar las intervenciones sobre el esfínter anal interno y sus potenciales secuelas.

No obstante, este estudio cuenta con ciertas limitaciones dado que se realizó en un único centro, con una muestra de pacientes reducida y un corto período de seguimiento para valorar las recidivas y predecir qué factores pueden influir en el fracaso del tratamiento a largo plazo.

Conclusión

El uso del PRP autólogo supone una alternativa novedosa en el tratamiento médico de la fisura anal. Se presenta como una opción terapéutica altamente atractiva para el médico y el paciente, dado que ofrece buenos resultados de manera prácticamente inmediata, destacándose la resolución de la proctalgia en las primeras 48 horas. Se trata de un procedimiento que en nuestra serie no presentó complicaciones severas y que se realiza en régimen ambulatorio. Asimismo, la administración del PRP autólogo, además de ser un procedimiento curativo de la lesión, constituye un arma terapéutica para el manejo de la proctalgia en la fisura. De cualquier manera, es un procedimiento que requiere nuevos estudios (en especial con un mayor número de pacientes) para conseguir conclusiones más definitivas.

81 Acta Gastroenterol Latinoam 2023;53(1):76-83

Uso de plasma rico en plaquetas autólogo en el tratamiento de la fisura anal crónica: una serie de casos

Anexos

Cuestionario médico para pacientes tras aplicación del plasma rico en plaquetas en fisura anal

Introducción

Este cuestionario va dirigido a valorar su evolución tras la aplicación de plasma rico en plaquetas (PRP) a pacientes con fisura anal. Sus respuestas serán registradas en su historia clínica y serán tratadas con la confidencialidad del resto de su información médica y personal. La información extraída de este cuestionario será utilizada para un estudio de la efectividad del tratamiento con PRP para pacientes con diagnóstico de fisura anal. Los resultados del estudio serán presentados de forma agregada y anónima. Si usted no desea que su información sea utilizada para estudios médicos puede indicarlo al final del cuestionario. Por favor, marque con una X la respuesta que más se ajuste a usted. El cuestionario puede rellenarlo con ayuda de su médico. Puede complementar todas las respuestas con explicaciones si lo considera necesario.

7. ¿Le pareció muy dolorosa la intervención?

Nombre:

NHC:

Fecha:

1. ¿Se considera usted una persona sana que lleva una dieta equilibrada, realiza algo de ejercicio, y no suele enfermar con frecuencia?

Sí ⬜ No ⬜

2. ¿Cómo le limitaba el dolor de la fisura en sus actividades cotidianas, previamente al tratamiento con PRP? (Le impedía ir a trabajar, hacer labores domésticas o vida social).

El dolor me limitaba mucho mis actividades cotidianas. ⬜

El dolor me limitaba un poco mis actividades cotidianas. ⬜

El dolor no me limitaba mis actividades cotidianas. ⬜

3. Durante el último mes previo al tratamiento con PRP, ¿tuvo que reducir el tiempo dedicado al trabajo o a sus actividades cotidianas a causa del dolor de la fisura?

Sí ⬜ No ⬜

4. A su juicio, la información que recibió antes del tratamiento relativa al mismo y a la fisura anal fue:

Muy buena ⬜

Buena ⬜

Mala ⬜

Muy mala ⬜

5. Durante el procedimiento de administración del plasma rico en plaquetas, ¿sufrió más dolor que con los tratamientos previos?

Si ⬜

No ⬜

No aplica ⬜

(No tuve tratamientos previos)

6. Tras la intervención quirúrgica, ¿sufrió dolor vinculado al tratamiento en las 24-48h posteriores?

Ninguno ⬜

Molestias leves ⬜

Escaso dolor ⬜

Dolores fuertes ⬜

8. ¿Cómo diría que es su salud actual, comparada con la de un mes antes del tratamiento?

Mucho mejor tras el tratamiento que un mes antes del mismo ⬜

Algo mejor tras el tratamiento que un mes antes del mismo ⬜

Más o menos igual tras el tratamiento que un mes antes del mismo ⬜

Algo peor tras el tratamiento que un mes antes del mismo ⬜

Mucho peor tras el tratamiento que un mes antes del mismo ⬜

9. La información que recibió al irse de alta (tras las revisiones después del tratamiento), la considera:

Muy buena ⬜

Buena ⬜

Mala ⬜

Muy mala ⬜

10. Considera que la cicatrización de la fisura tras la infiltración de plasma rico en plaquetas ha sido:

Muy buena ⬜

Buena ⬜

Mala ⬜

Muy mala ⬜

No sabría decir ⬜

11. ¿Recomendaría este tratamiento a otros pacientes?

Sí ⬜

No ⬜

12. Valore de 1 a 10 si recomendaría este tratamiento a otros pacientes. Marque con un círculo.

Autorizo a que mi información médica sea utilizada de forma agregada y anonimizada en estudios médicos y científicos. (Si no autoriza, por favor no firme este documento y su información será guardada en su HC).

Firma y fecha

Apéndice A: Cuestionario satisfacción pacientes

82 Acta Gastroenterol Latinoam 2023;53(1):76-83
Sí ⬜ No ⬜
1 2 3 4 5 6 7 8 9 10

Uso de plasma rico en plaquetas autólogo en el tratamiento de la fisura anal crónica: una serie de casos Neith Ortega Pérez

Consentimiento para la publicación. Se obtuvo el consentimiento informado por escrito del paciente o de su padre, tutor o familiar, para la publicación de los datos y/o imágenes clínicas en beneficio de la ciencia. La copia del formulario de consentimiento se encuentra disponible para los editores de esta revista.

Propiedad intelectual. Los autores declaran que los datos, las figuras y las tablas presentes en el manuscrito son originales y se realizaron en sus instituciones pertenecientes.

Financiamiento. Los autores declaran que no hubo fuentes de financiación externas.

Conflicto de interés. Los autores declaran no tener conflictos de interés en relación con este artículo.

2. Nelson R. Tratamiento no quirúrgico para la fisura anal (Revisión Cochrane traducida). En: La Biblioteca Cochrane Plus, 2008 Número 2. Oxford: Update Software Ltd. Disponible en: http:// www.update-software.com (Traducida de The Cochrane Library, 2008, Issue 2. Chichester, UK: John Wiley & Sons, Ltd.).

3. Yilmaz G, Tanrikulu Y. Short-term Results of Platelet-Rich Plasma in the Treatment of Chronic Anal Fissure. Diseases of the Colon & Rectum. 2020 Dec 22;Publish Ahead of Print.

4. Editorial A. The use of autologous platelet-rich plasma in the complex treatment of anal fissure combined with anal sphincter spasm in non-hospital settings, Boris M. Belik, Alexey N. Kovalev. Koloproktologia. 2022 Mar 18;21(1):59.

5. Nelson RL, Thomas K, Morgan J, Jones A. Non surgical therapy for anal fissure. Cochrane Database of Systematic Reviews. 2012. https://doi.org/10.1002/14651858.cd003431.pub3

6. Arroyo, A., Montes, E., Calderón, T., Blesa, I., Elía, M., Salgado, G., García-Armengol, J., de-la-Portilla, F. (2018). Tratamiento de la fisura anal: algoritmo de actuación. Documento de consenso de la Asociación Española de Coloproctología y la Sección de Coloproctología de la Asociación Española de Cirujanos. Cirugía Española, 96(5), 260-267. https://doi.org/10.1016/j.ciresp.2018.02.007

Aviso de derechos de autor © 2023 Acta Gastroenterológica Latinoamericana. Este es un artículo de acceso abierto publicado bajo los términos de la Licencia Creative Commons Attribution (CC BY-NC-SA 4.0), la cual permite el uso, la distribución y la reproducción de forma no comercial, siempre que se cite al autor y la fuente original.

Cite este artículo como: Ortega Pérez N. Uso de plasma rico en plaquetas autólogo en el tratamiento de la fisura anal crónica: una serie de casos. Acta Gastroenterol Latinoam. 2023; 53(1):76-83. https://doi.org/ 10.52787/agl.v53i1.290

7. Moreno Serrano A, García Díaz JJ, Ferrer Márquez M, Alarcón Rodríguez R, García AÁ, Ángel Y, Duarte R, Moreno A, Torrecárdenas SH. Empleo de plasma autólogo rico en plaquetas en el tratamiento de fístulas perianales complejas. Isciii.es. S/f: eecuperado el 1° de septiembre de 2022, de https://scielo.isciii.es/pdf/ diges/v108n3/es_original2.pdf

8. Kakudo N, Minakata T, Mitsui T, Kushida S, Notodihardjo FZ, Kusumoto K. Proliferation-Promoting Effect of Platelet-Rich Plasma on Human Adipose–Derived Stem Cells and Human Dermal Fibroblasts. Plastic and Reconstructive Surgery. 2008;122(5):135260. https://doi.org/10.1097/prs.0b013e3181882046

9. Lara FJP, Serrano AM, Moreno JU, Carmona JH, Márquez MF, Pérez LR, del Rey Moreno A, Muñoz HO. Platelet-Rich Fibrin Sealant as a Treatment for Complex Perianal Fistulas: A Multicentre Study. Journal of Gastrointestinal Surgery. 2014;19(2):3608. https://doi.org/10.1007/s11605-014-2698-7

10. Nordholm-Carstensen A, Perregaard H, Wahlstrøm KL, Hagen KB, Hougaard HT, Krarup PM. Treatment of chronic anal fissure: a feasibility study on Levorag® Emulgel versus Diltiazem gel 2%. International Journal of Colorectal Disease. 2020;35(4):61521. https://doi.org/10.1007/s00384-020-03515-z

11. Deijl W, Arkenbosch J, van Ruler O, van der Woude CJ, Stevens HPJD, de Graaf E, Schouten R. Autologous Platelet-Rich Stroma in Complex Perianal Fistulas. Diseases of the Colon & Rectum. 2020;63(6),860-1. https://doi.org/10.1097/dcr. 0000000000001546

Referencias

1. Arroyo A, Pérez-Vicente F, Serrano P, Candela F, Sánchez A, Teresa Pérez-Vázquez M, Calpena R. Tratamiento de la fisura anal crónica. Cirugía Española. 2005;78(2):68-74. https://doi. org/10.1016/s0009-739x(05)70893-9

12. Pérez Lara FJ, Hernández González JM, Ferrer Berges A, Navarro Gallego I, Oehling De Los Reyes H, Oliva Muñoz H. Can Perianal Fistula Be Treated Non-surgically with Platelet-Rich Fibrin Sealant? Journal of Gastrointestinal Surgery. 2018;23(5):1030-6. https://doi.org/10.1007/s11605-018-3932-5

83 Acta Gastroenterol Latinoam 2023;53(1):76-83

Neoplasia papilar intracolecística: rara patología de la vesícula biliar. Desafío diagnóstico

Patricia López Penza1

Gustavo Burghi3

1 Cirujano General.

2 Médica Anatomopatóloga.

· Mauro Mallarino1 · Alejandro Etcheverry1 · María Oreggia2

3 Cirujano General. Jefe Cirugía. Sanatorio Cantegril. Punta del Este. Maldonado, Uruguay.

Acta Gastroenterol Latinoam 2023;53(1):84-89

Recibido: 15/10/2022 / Aceptado: 13/03/2023 / Publicado online: 30/03/2023 / https://doi.org/10.52787/agl.v53i1.243

Resumen

Introducción. La neoplasia papilar intracolecística se caracteriza por el crecimiento exofítico del epitelio de la vesícula biliar hacia su interior. Casos clínicos. Presentamos dos casos clínicos con masa vesicular a quienes se les realiza colecistectomía, dado el riesgo de que esos hallazgos sean pólipos vesiculares malignos. La anatomía patológica certifica que corresponden a una neoplasia papilar intracolecística. Discusión. La neoplasia papilar intracolecística es una patología rara, cuya incidencia varia del 0.5 al 0.8%, predomina en el sexo femenino y afecta a pacientes con una edad media de 60 años. Macroscópicamente se presenta como un

pólipo vesicular. Es una lesión con riesgo potencial de malignidad, por lo que es considerada una lesión precursora para el desarrollo de carcinoma de vesícula biliar invasivo. Es importante señalar que la neoplasia papilar intracolecística que progresa a carcinoma invasivo tiene un mejor pronóstico que el carcinoma de la vesícula biliar que se origina en otro tipo de lesión. Conclusión. La presencia de una lesión de crecimiento exofítico a nivel vesicular nos debe hace sospechar una neoplasia papilar intracolecística, recomendándose realizar la colecistectomía.

Palabras claves. Neoplasia papilar intracolecística, tumor vesícula biliar, pólipo de vesícula, vesícula biliar, colecistectomía.

Intracholecystic Papillary Neoplasm: Rare Pathology of the Gallbladder. A Diagnostic Challenge

Summary

Correspondencia: Patricia López Penza

Correo electrónico: patricialopezpenza@hotmail.com

Introduction. Intracholecystic papillary neoplasia is characterized by exophytic growth of the gallbladder epithelium into its interior. Clinical cases. We present two clinical cases with a gallbladder mass that underwent cholecystectomy given the risk of being malignant gallbladder polyps. The pathological anatomy certifies that they correspond to an in-

84 Acta Gastroenterol Latinoam 2023;53(1):84-89 ♦CASO CLÍNICO

tracholecystic papillary neoplasia. Discussion. Intracholecystic papillary neoplasia is a rare pathology, whose incidence varies from 0.5 to 0.8%, predominates in females and affects patients with a mean age of 60 years. Macroscopically it appears as a gallbladder polyp. It is a lesion with potential risk of malignancy which is why it is considered a precursor lesion for the development of invasive gallbladder carcinoma. It is important to note that intracholecystic papillary neoplasia that progresses to invasive carcinoma has a better prognosis than gallbladder carcinoma that originates from another type of lesion. Conclusion. The presence of an exophytic growth lesion at the gallbladder level should make us suspect intracholecystic papillary neoplasia, being recommended to perform cholecystectomy.

Keywords. Intracholectystic papillary neoplasm, gallbladder tumor, gallbladder polyp, gallbladder, cholecystectomy.

una paciente mayor de 50 años con una lesión polipoidea mayor de 10 mm, se le plantea la realización de colecistectomía debido al riesgo de que se trate de un pólipo vesicular maligno. La paciente acepta y se realiza la intervención quirúrgica por vía laparoscópica. Manteniendo los recaudos de introducción de los trocares de manera perpendicular a la pared abdominal, se procedió a la extracción de la vesícula biliar en bolsa, incluyendo el ganglio cístico en la pieza de colecistectomía. La paciente presentó una buena evolución postoperatoria y se otorgó el alta domiciliaria a las 24 horas. La anatomía patológica informó la presencia de una neoplasia papilar intracolecística con patrón papilar y tubular, asociada a una neoplasia intraepitelial de alto grado. El ganglio cístico no presentó elementos de malignidad. No se observó carcinoma invasor (Figura 2).

Figura 1. Tomografía de abdomen sin contraste intravenoso: tumoración de 22 mm en la pared anterior de la vesícula biliar, con densidad de partes blandas

Abreviaturas

WHO: Organización Mundial de la Salud (según sus siglas en inglés).

NPIC: Neoplasia papilar intracolecística.

BilIN: Neoplasia papilar intraductal del tracto biliar.

TPMI: Papilo-mucinoso intraductal de páncreas.

Introducción

La WHO1 en la clasificación de las lesiones premalignas de la vesícula biliar incluye el adenoma, la neoplasia papilar intraductal, la neoplasia intraepitelial biliar y la neoplasia papilar intraquística. A nivel de la vesícula biliar, la neoplasia formada por una masa intramucosa exofítica, igual o mayor de 1 cm2, compuesta de células displásicas distintas de la mucosa circundante, es definida como NPIC. Está presente en menos del 0,5% de las colecistectomías.3 Previamente era conocida como adenoma/carcinoma papilar de la vesícula biliar.

Caso clínico 1

Mujer de 69 años, con antecedentes de hipertensión arterial y quistes hepáticos simples.

En el control tomográfico de los quistes hepáticos se detecta una formación ovalada de 22 mm ubicada en la pared anterior de la vesícula biliar, que presenta densidad de partes blandas (Figura 1). La paciente se encontraba asintomática, con un examen físico normal y sin alteraciones en la paraclínica humoral. Al encontrarnos ante

85 Acta Gastroenterol Latinoam 2023;53(1):84-89
Neoplasia papilar intracolecística: rara patología de la vesícula biliar. Desafío diagnóstico Patricia López Penza y col.

Caso

Mujer de 75 años, con antecedentes de hipertensión arterial y múltiples resecciones de pólipos colónicos benignos. En el contexto de una dispepsia mixta se la estudia mediante una ecografía abdominal en la que presenta una imagen polipoidea de 18 x 10 mm a nivel de la pared posterior de la vesícula biliar, alitiásica. El resto del examen no muestra alteraciones (Figura 3). El examen físico es normal y la paraclínica humoral no tiene alteraciones.

Por igual motivo que en el caso descripto previamente se decidió realizar una colecistectomía laparoscópica. La anatomía patológica informó una neoplasia papilar intracolecística con neoplasia intraepitelial de bajo grado. El ganglio cístico no presentó elementos de malignidad. No se observó carcinoma invasor.

Discusión

La NPIC es considerada como una lesión precursora para el desarrollo de carcinoma de vesícula biliar invasivo, al igual que la neoplasia papilar intraductal de los conductos biliares.4 Poseen un potencial agresivo, el componente papilar de la lesión se asocia significativamente con invasión y la secuencia “adenoma-carcinoma” está bien establecida.5 Esta neoplasia se considera como análoga a la BilIN y al tumor TPMI, teniendo ambas entidades un crecimiento intraluminal asociado a la hipersecreción de mucina, así como los mismos cuatro subtipos histológicos: pancreatobiliar, intestinal, gástrico y oncocítico.4 Ocasionalmente, la NPIC aparece en asociación al síndrome de Peutz-Jeghers6 o síndrome de Gardner.7 Es una patología poco frecuente cuya incidencia varía del 0.5 al 0.8%.2-3, 8 Se presenta con mayor frecuencia en mujeres2, 9 con una incidencia dos veces mayor que en hombres1 como lo sucedido en nuestros casos clínicos. La edad media de los pacientes es de 60 años.4 Existen escasos reportes en la literatura y la mayor parte de estos reportes corresponden a casos aislados (Tabla 1).

86 Acta Gastroenterol Latinoam 2023;53(1):84-89
Neoplasia papilar intracolecística: rara patología de la vesícula biliar. Desafío diagnóstico Patricia López Penza y col. clínico 2 Figura 2. Anatomía Patología. Macroscopía: lesión polipoidea a nivel del fondo vesicular Figura 3. Ecografía abdominal: lesión polipoidea de 18x10 mm a nivel de la pared posterior de la vesícula
Autor Año Nº casos Almagro 1985 1 Araki et al. 1988 7 Arunabh et al. 1988 1 Bazira et al. 1998 1 Diaz-Plasencia et al. 1994 2 Kushima et al. 1996 1 Nagahama et al. 1997 1 Albores-Saavedra et al. 2005 16 Kosemehmetoglu et al. 2011 1 Adsay et al. 2012 123 Resende et al. 2012 1 Hashimoto et al. 2014 1 Bennett et al. 2015 7 Argon et al. 2016 45 Michalinos et al. 2016 1 Páez Cumpa et al. 2017 1 Manterola et al. 2018 1 Kiruthiga et al.3 2019 36 Oh et al.10 2020 1 Logrado et al.11 2021 1 TOTAL 249
Tabla 1. Casuística publicada a lo largo del tiempo. Tomado de Manterola.9 (con agregado de publicaciones posteriores al 2018)

El 50% de los pacientes se presentan asintomáticos y la NPIC se detecta incidentalmente durante un estudio de imagen abdominal, habitualmente la ecografía abdominal, siendo esta la forma de presentación en nuestras pacientes. Los hallazgos ecográficos son similares al del pólipo y el cáncer de la vesícula biliar, 12-13 lo hace difícil su diferenciación. Al presentarse así en nuestras pacientes y considerando el factor de riesgo bien establecido sobre la presencia de un pólipo en pacientes mayores de 50 años, estos hechos motivaron la realización de colecistectomías. Algunos estudios han informado sobre hallazgos de imagen específicos de NPIC, como ser una masa papilar realzada > 1 cm en la tomografía, con realce en la fase arterial de la fase tardía. 14 La NPIC es una lesión de la mucosa, por lo que la pared de la vesícula biliar no muestra anomalías. Especialmente en el caso de NPIC productora de mucina (subtipo intestinal), las imágenes muestran una vesícula biliar distendida. 15 Macroscópicamente se presenta como una masa polipoide intramucosa asociada a diferentes cantidades de mucina. Las lesiones polipoides frecuentemente se desprenden de la mucosa y aparecen como “lodo” en la luz de la vesícula biliar o del contenedor de la pieza anatomopatológica. Su topografía más frecuente es en el cuerpo de la vesícula biliar, con un tamaño medio de 2,77 cm y una dimensión máxima de 8,5 cm. Se caracterizan por ser grandes, unifocales o multifocales, con crecimiento exofítico pedunculado o sésiles parecidos al coliflor, o por proyecciones polipoides de superficie lisa. 2 Microscópicamente, se describen cuatro subtipos histológicos, análogos a los subtipos del TPMI: pancreatobiliar (el más frecuente), intestinal, gástrico y oncocítico (de peor pronóstico). La NPIC normalmente presenta áreas papilares como tubulares; si se considera el patrón de crecimiento predominante alrededor del 50% corresponde al patrón papilar. La displasia de alto grado es más común en el patrón papilar y túbulo-papilar. 2-3, 8 Cada subtipo presenta una expresión inmunohistoquímica típica:

- pancreatobiliar expresa CK7 y MUC1,

- gástrico suele expresar MUC5AC y MUC6,

- intestinal expresa MUC2, CDX2 y CK20,

- y el oncocítico MUC1 (Tabla 2).14

La tinción inmunohistoquímica MUC se asocia como un marcador de mal pronóstico en el NPIC2. En la evaluación de la NPIC es de suma importancia descartar el carcinoma invasivo mediante un muestreo exhaustivo y cuidadoso de la toda la vesícula biliar. Esto fue realiza-

do en nuestras pacientes y se descartó carcinoma invasor. El carcinoma invasivo puede ser groseramente inaparente y también puede ocurrir lejos de la lesión principal de la NPIC.

T abla 2. Análisis inmunohistoquímico de la NPIC de Hamedani 16

Si bien la NPIC tiene potencial de transformación neoplásico, la mayoría de los carcinomas invasivos de la vesícula biliar se originan a partir de células planas intraepiteliales. Adsay2 en su serie reporta que más de la mitad las lesiones encontradas como NPIC tienen focos de carcinoma invasivo en el diagnóstico. El patrón papilar es el más frecuentemente asociado con el desarrollo de carcinoma invasivo. Diferentes estudios han demostrado que la NPIC es responsable del 20% de las neoplasias invasivas de la vesícula biliar y sólo del 6% de los carcinomas de vesícula biliar.1 El tratamiento implica la resección quirúrgica, mediante la colecistectomía, basado en la alta incidencia de asociación o progresión a carcinoma. Habitualmente la indicación de colecistectomía se debe a la presencia de una lesión polipoidea, dado que el diagnóstico se obtendrá mediante la anatomía patológica. Así fue planteado y discutido con nuestras pacientes al proponerles la intervención quirúrgica. Como es esperable, las NPIC no invasivas tienen un mejor pronóstico que el carcinoma invasivo de la vesícula biliar. Los pacientes con NPIC no invasiva tienen una tasa de supervivencia a los 5 años del 80%, descendiendo al 60% cuando se asocia a carcinoma invasivo.17 Algunos estudios describen que la invasión asociada a la NPIC tiene un mejor pronóstico que aquel asociado a BilIN.18 Es importante señalar que la NPIC que progresa a carcinoma invasivo tiene un mejor pronóstico que el carcinoma de vesícula biliar que se origina en otro tipo de lesión; también depende del grado de invasión dentro de la NPIC.4 Esta ventaja del pronóstico es independiente del tamaño de la lesión.2 El seguimiento posterior de estos pacientes se basa en la asociación a otras neoplasias malignas del sistema biliar. Tiene como objetivo la detección temprana de las lesiones a las cuales

87 Acta Gastroenterol Latinoam 2023;53(1):84-89
Neoplasia papilar intracolecística: rara patología de la vesícula biliar. Desafío diagnóstico Patricia López Penza y col.
MUC1 + ++ ++ + ++ MUC2 - -/+ - ++MUCSAC + + ++ - ++ MUC6 ++ + ++ + +
Pilórico Biliar Gástrico Intestinal Oncótico

se asocia. Aunque no existen guías que protocolicen el seguimiento, se recomienda que los pacientes con NPIC sean seguidos de la misma manera que aquellos que presentan el tipo clásico de cáncer de vesícula biliar. Los dos casos clínicos presentados se encuentran en seguimiento con colangioresonancia y resonancia de abdomen, sin evidencia de lesiones asociadas a 6 meses de la cirugía.

Conclusión

La neoplasia papilar intracolecística es una patología poco frecuente, en la que debemos pensar en todo paciente que presente una lesión polipoidea vesicular mayor de 1 cm.

Su diagnóstico plantea un desafío etiológico, su importancia se basa en que es una enfermedad premaligna capaz de desarrollar un cáncer vesicular, con el ominoso pronóstico que conlleva esta patología.

La colecistectomía en los pacientes con este tipo de neoplásias es curativa, evitando así la progresión al cáncer vesicular.

Consentimiento para la publicación. Se obtuvo el consentimiento informado por escrito del paciente o su padre, tutor o familiar, para la publicación de los datos y/o imágenes clínicas en beneficio de la ciencia. La copia del formulario de consentimiento se encuentra disponible para los editores de esta revista.

Propiedad intelectual. Los autores declaran que los datos, las figuras y las tablas presentes en el manuscrito son originales y se realizaron en sus instituciones pertenecientes.

Financiamiento. Los autores declaran que no hubo fuentes de financiación externas.

Conflicto de interés. Los autores declaran no tener conflictos de interés en relación con este artículo.

Cite este artículo como: López Penza P, Mallarino M, Etcheverry A y col. Neoplasia papilar intracolecística: rara patología de la vesícula biliar. Desafío diagnóstico. Acta Gastroenterol Latinoam. 2023;53(1):84-89. https://doi.org/10.52787/agl. v53i1.243

Referencias

1. WHO ClassificationofTumours Editorial Board. Digestive systemtumours. Lyon (France): International Agency forResearchonCancer: 2019. (WHO classification of tumours series, 5th ed;vol.1.

2. Adsay V, Jang K, Roa J, Dursun N, Ohike N, Bagci P. Intracholecystic papillary-tubular neoplasms (ICPN) of the gallbladder (neoplastic polyps, adenomas, and papillary neoplasms that are ≥ 1.0 cm): Clinicopathologic and immuno histochemicalanalysisof 123 cases. Am J SurgPathol 2012;36:1279-301. DOI: 10.1097/PAS.0b013e318262787c

3. Kiruthiga K, Kodiatte T, Burad D, Kurian R, RavishSanghiRaju, ManbhaLamareRymbai, et al. Intracholecystic papillary-tubular neoplasms of the gallbladder - A clinicopathological study of 36 cases. Annalsof Diagnostic Pathology 2019;40:88-93. DOI. org/10.1016/j.anndiagpath.2019.04.014

4. Bennett S, Marginean E, Paquin-Gobeil M, Wasserman J, Weaver J, Mimeault R, et al. Clinical and pathological featuresof intraductal papillary neoplasm of the biliary tract and gallbladder. HPB (Oxford) 2015;17(9):811-8. DOI:org/10.1111/ hpb.12460

5. Michalinos A, Alexandrou P, Papalambros A, Oikonomou D, Sakellariou S, Baliou E.Intracholecystic papillary-tubular neoplasm in a patient with choledochal cyst: ¿a link between choledocha cyst and gallbladder cancer? World J Surg Oncol 2016; 14:202. DOI: 10.1186/s12957-016-0962-x

6. Foster DR, Foster DB. Gall-bladder polyps in Peutz-Jeghers syndrome. Postgrad Med J 1980;56:373-6. DOI: 10.1136/ pgmj.56.655.373

7. Walsh N, Qizilbash A, Banerjee R, et al. Biliary neoplasia in Gardner’ssyndrome. ArchPatholLabMed 1987;111:76-7.

8. Argon, A.; Barbet, F. Y. &Nart, D. The relationship between intracholecystic papillary-tubular neoplasms and invasive carcinoma of the gallbladder. Int. J SurgPathol 2016;24(6):504-11.

9. Manterola C, Bellolio E, OtzenT, Duque G. Neoplasia papilar intracolecística. Reporte de un caso y revisión de la evidencia existente. Int J Morphol 2018;36(4):1485-9. http://dx.doi. org/10.4067/S0717-95022018000401485

Aviso de derechos de autor © 2023 Acta Gastroenterológica Latinoamericana. Este es un artículo de acceso abierto publicado bajo los términos de la Licencia Creative Commons Attribution (CC BY-NC-SA 4.0), la cual permite el uso, la distribución y la reproducción de forma no comercial, siempre que se cite al autor y la fuente original.

10. Oh CH, Dong SH. Progression to invasive cancer after snare polypectomy of intracholecystic papillary neoplasms during gallbladder stone removal by percutaneous transhepatic choledochoscopy: a case report. BMC Gastroenterol 20202;404:1-7. DOI: 10.1186/s12876-020-01547-x

11. Logrado A, Constantino J, Daniel C, Pereira J, Carvalho M, Casimir C. Low-Grade Dysplastic Intracholecystic Papillary Neoplasia: A Case Report. Am J Case Rep, 2021;22:e929788 DOI: 10.12659/AJCR.929788

12. Lee N, Kim S, Kim T, Kim D, Seo H, Jeon T. Difusion-weighted MRI for diferentiation of benign from malignant lesions in the gallbladder. Clin Radiol 2014;69(2):e78-85. DOI: 10.1016/j. crad.2013.09.017

88 Acta Gastroenterol Latinoam 2023;53(1):84-89
Neoplasia papilar intracolecística: rara patología de la vesícula biliar. Desafío diagnóstico Patricia López Penza y col.

Neoplasia papilar intracolecística: rara patología de la vesícula biliar. Desafío diagnóstico

13. Yokode M, Hanada K, Shimizu A, Minami T, Hirohata R, Abe T. Intracholecystic papillary neoplasm of the gallbladder protruding into the common bile duct: a case report. Mol Clin Oncol 2019;11(5):488–92.

14. Mizobuchi N, Munechika J, Takeyama N, Ohgiya Y, Ohike N, Abe R et al. Three cases of intracystic papillary neoplasm of gallbladder. AbdomRadiol (NY) 2018;43(7):1535-9. DOI: 10.1007/ s00261-018-1595-z

15. Oba T, Sato N, Tamura T, Komeda M, Adachi Y, Matsuyama A, et al. A case of gallbladder adenocarcinoma arising in associatio with intracystic papillary neoplasm (ICPN) with abundant mucin production. Clin J Gastroenterol 2021 Feb;14(1):319-24. Epub 2020 Sep 19. DOI: 10.1007/s12328-020-01233-1

Patricia

16. SaeiHamedani F, Garcia-Buitrago M. Intracholecystic papillary -tubular neoplasms (ICPN) of the gallbladder: a short review of literature. ApplImmunohistochem Mol Morphol 2020;28(1):5761. DOI: 10.1097/PAI.0000000000000711

17. Goetze T. Gallbladder carcinoma: prognostic factors and therapeutic options. World J Gastroenterol 2015;21(43):12211-7. DOI: 10.3748/wjg. v21.i43.12211.

18. Klöppel G, Adsay V, Konukiewitz B, Kleeff J, SchlitterA, Esposito I. Precancerous lesions of the biliary tree. BestPract. Res. Clin. Gastroenterol 2013;27(2):285-97. DOI: 10.1016/j. bpg.2013.04.002

89 Acta Gastroenterol Latinoam 2023;53(1):84-89
López Penza y col.

Necrosectomía endoscópica transmural a través de fístula pancreático gástrica espontánea secundaria a necrosis encapsulada infectada

Juan Ramirez García · César Vargas-Alayza · Natali Ravelo

Servicio de gastroenterología, Hospital Nacional Arzobispo Loayza. Lima, Perú.

Acta Gastroenterol Latinoam 2023;53(1):90-93

Recibido: 03/10/2022 / Aceptado: 12/03/2023 / Publicado online: 30/03/2023 / https://doi.org/10.52787/agl.v53i1.261

Resumen

La clasificación de Atlanta hace una importante distinción entre las colecciones compuestas sólo por fluidos y las que contienen tejido necrótico. En este último grupo, la necrosis encapsulada o amurallada se refiere a una colección encapsulada de necrosis pancreática y/o peri pancreática que presenta una pared bien definida. Cuando es asintomática el tratamiento es conservador; cuando está infectada requiere drenaje. La ruptura espontánea de la necrosis encapsulada hacia el tracto gastrointestinal es un evento raro. Presentamos el caso de una paciente con una hemorragia digestiva alta secundaria a una fístula pancreático gástrica ocasionada por una necrosis pancreática encapsulada infectada. Días después de realizada la endoscopía alta debido a la hemorragia, se observó un incremento en el diámetro de la fístula, a través de la cual se realizó exitosamente la necrosectomía endoscópica, logrando que la paciente mejorara notablemente luego de la segunda sesión.

Palabras claves. Pancreatitis aguda necrotizante, hemorragia gastrointestinal, fístula pancreática.

Transmural Endoscopic Necrosectomy through a Spontaneous Gastric-pancreatic Fistula Secondary to Infected Encapsulated Necrosis

Summary

The Atlanta classification makes an important distinction between collections composed only of fluid and those containing necrosis. In the last group, encapsulated or walled necrosis refers to an encapsulated collection of pancreatic and/or peripancreatic necrosis that presents a well-defined wall. When it is asymptomatic, the treatment is conservative; when it is infected it requires drainage. Spontaneous rupture of encapsulated necrosis into the gastrointestinal tract is a rare event. We present the case of a patient with upper gastrointestinal bleeding secondary to a gastric-pancreatic fistula caused by an infected encapsulated pancreatic necrosis. Days after the upper endoscopy was performed due to bleeding, an increase in the diameter of the fistula was observed, through which the endoscopic necrosectomy was successfully performed, achieving that the patient improved remarkably after the second session.

Correspondencia: Juan Ramirez

Correo electrónico: dr.ramirezgarcia@gmail.com

Keywords. Necrotizing acute pancreatitis, gastrointestinal bleeding, pancreatic fistula.

90 Acta Gastroenterol Latinoam 2023;53(1):90-93 ♦CASO CLÍNICO

Abreviaturas

PA: Pancreatitis aguda.

WON: Necrosis encapsulada (según sus siglas en inglés).

TGI: Tracto Gastrointestinal.

FGI: Fístula Gastrointestinal.

PCR: Proteína C reactiva.

Introducción

Las complicaciones locales de la pancreatitis aguda (PA) son la colección aguda de fluido peri pancreático, la colección necrótica aguda, el pseudoquiste y la necrosis encapsulada (WON).1 La pancreatitis necrotizante representa entre 5 y 10% de los casos; un tercio de estos presentará necrosis infectada, con una mortalidad del 35%.2

El WON es una colección encapsulada que generalmente se forma luego de 4 semanas de iniciada la PA.

En el WON asintomático se aconseja mantener una conducta expectante, y realizar drenaje en el WON infectado y/o sintomático.1 La rotura espontánea del WON al tracto gastrointestinal (TGI) es un evento raro y está descripto en pocos reportes.3 En la PA severa, se encontró una incidencia de fístula gastrointestinal (FGI) del 3 al 15%, con una mortalidad del 28%. La fístula puede dirigirse hacia estómago, duodeno, yeyuno, íleon o colon, ya sea en forma aislada o combinada.4 La fístula hacia el estómago, sin complicaciones, es un evento muy raro, menor al 3% de los casos.5 Existe poca información sobre el curso de la FGI por necrosis pancreática encapsulada y la conducta terapéutica aún no está bien establecida.

Presentamos un caso de necrosectomía endoscópica realizada a través de una fístula pancreático gástrica formada espontáneamente debido a una gran necrosis pancreática encapsulada infectada.

Caso clínico

Una mujer de 63 años, con antecedentes de diabetes mellitus, hipertensión arterial y dislipidemia, es admitida en un servicio de emergencia con dolor abdominal, náuseas y vómitos de 4 semanas de evolución. Presentaba además disnea y taquipnea, y se automedicó con levofloxacina, ácido acetil salicílico y enoxaparina. El día del ingreso hospitalario presentó hematemesis, melena y lipotimia. En el examen físico se encontró una frecuencia cardiaca de 114 latidos por minuto y la tensión arterial fue 110/60 mmHg. Los exámenes de laboratorio al ingreso mostraron: Hb: 8.1 g/dl, leucocitos 12.920/mm3, abastonados 4%, albúmina 2.4 g/dl, proteína C reactiva (PCR) 41.2 mg/L. Se realizó una endoscopía digestiva

alta en la que se observaron dos úlceras sobre la curvatura mayor de cuerpo gástrico; una de ellas presentaba un orificio fistuloso de aproximadamente 5 mm de diámetro (Figura 1 A). La tomografía con contraste muestra necrosis pancreática amurallada de 188 mm x 94 mm x 120 mm sobre el cuerpo y la cola (Figura 2).

Deciden realizar un tratamiento conservador indicando antibióticoterapia de amplio espectro. Luego de 2 semanas recibiendo imipenem la paciente continuaba con dolor abdominal, fiebre, mala tolerancia a la dieta y aún con leucocitosis, desviación izquierda y PCR alta. Por tales motivos sugerimos hacer un drenaje endoscópico de la necrosis infectada. Se efectuó una ecoendoscopía que confirmo los hallazgos de la tomografía, además de la compresión gástrica por la necrosis pancreática y la evidencia de la fístula pancreático gástrica (Figura 3). Se observó que la fístula presentaba un diámetro mayor (13 mm) en el cuerpo gástrico al descripto previamente en la endoscopia. A través de la fístula se observó la salida de secreción purulenta (Figura 1B).

91 Acta Gastroenterol Latinoam 2023;53(1):90-93
Necrosectomía endoscópica a través de una fístula pancreático gástrica espontánea Juan Ramirez García y col. Figura 2. Tomografía de abdomen. Necrosis pancreática encapsulada infectada
A B
Figura 1. A: Orificio fistuloso de 5 mm en el cuerpo gástrico, B: Fístula 13 días después de la endoscopía, orificio de 13 mm

Figura 3. Fístula pancreático gástrica bajo visión ecoendoscópica. Obsérvese la flecha blanca señalando la fístula

TGI después de la diseminación de la inflamación y de la necrosis pancreática.6-7

La fistulización al TGI, es una complicación temida del manejo expectante del WON. Su incidencia en WON asintomático o infectado es del 11.5% y 38% respectivamente.4, 6 La fístula a estómago representaría entre el 23% y 44% de todos los casos, siendo el colon y el duodeno los sitios más frecuentemente afectados.4, 6, 8

La ecoendoscopia es el método de elección para caracterizar el WON, determinar si el abordaje será endoscópico o quirúrgico y prever el número de sesiones endoscópicas requeridas para el drenaje.9

Debido a la evolución desfavorable y la falta de respuesta al tratamiento antibiótico a pesar de la presencia de la fístula pancreático gástrica, se decidió realizar una necrosectomía endoscópica a través de la fístula (Figura 4A), sin necesidad de dilatar o colocar stents. Para la necrosectomía empleamos un asa de polipectomía, lavado con peróxido de hidrogeno, acompañado de nutrición enteral por sonda nasoduodenal. Se realizaron cinco sesiones, observándose mejoría clínica y laboratorial desde la segunda sesión y alta inmediata con la última sesión (Figura 4B). No se presentó ninguna complicación. El control tomográfico posterior mostró la resolución del WON.

Figura 4. A: Vista endoscópica de la necrosis pancreática encapsulada infectada; B: Vista endoscópica luego de la última sesión de necrosectomia A B

Hay escasos datos sobre el curso clínico y el resultado de la fistulización del WON. Sin embargo, rara vez la fistulización espontánea se resolverá sin complicaciones.5 En una serie de 16 pacientes con WON asintomático y fístula al TGI, solo 12% tuvieron resolución espontánea del WON. El resto requirió drenaje endoscópico.6

En nuestro caso, la necrosis encapsulada infectada condujo a la formación de una fístula pancreático gástrica que se manifestó con una hemorragia digestiva alta. Trece días después de la endoscopia se observó un incremento del diámetro de la fístula. A pesar de la presencia de la fístula y la administración de antibióticos la evolución de la paciente fue desfavorable. La presencia de la fístula, incluso con incremento en su diámetro, no aseguró que los restos sólidos y detritus del WON drenaran espontáneamente por la fístula. Entonces se decidió realizar la necrosectomía endoscópica.

En conclusión, la fístula pancreático gástrica es un evento infrecuente y el sangrado digestivo es su forma más común de presentación. La fístula no asegura un drenaje adecuado del contenido de la necrosis infectada, por lo que su formación no evitará la necesidad de drenaje o necrosectomía endoscópica. La necrosectomía endoscópica a través de una fístula bien formada, podría ser segura y eficaz.

Consentimiento para la publicación. Se obtuvo el consentimiento informado por escrito del paciente o su padre, tutor o familiar, para la publicación de los datos y/o imágenes clínicas en beneficio de la ciencia. La copia del formulario de consentimiento se encuentra disponible para los editores de esta revista.

Discusión

El WON puede cursar asintomático o con síntomas como dolor, saciedad precoz, fiebre, ictericia, obstrucción de la salida gástrica o hemorragia. La hemorragia es la forma más frecuente de presentación (60% de casos), como consecuencia de la erosión de los vasos de la pared del

Propiedad intelectual. Los autores declaran que los datos y las figuras presentes en el manuscrito son originales y se realizaron en sus instituciones pertenecientes.

Financiamiento. Los autores declaran que no hubo fuentes de financiación externas.

92 Acta Gastroenterol Latinoam 2023;53(1):90-93
Necrosectomía endoscópica a través de una fístula pancreático gástrica espontánea Juan Ramirez García y col.

Necrosectomía endoscópica a través de una fístula pancreático gástrica espontánea Juan Ramirez García y col.

Conflicto de interés. Los autores declaran no tener conflictos de interés en relación con este artículo.

Aviso de derechos de autor © 2023 Acta Gastroenterológica Latinoamericana. Este es un artículo de acceso abierto publicado bajo los términos de la Licencia Creative Commons Attribution (CC BY-NC-SA 4.0), la cual permite el uso, la distribución y la reproducción de forma no comercial, siempre que se cite al autor y la fuente original.

Cite este artículo como: Ramirez García J, Vargas-Alayza C y Ravelo N. Necrosectomía endoscópica transmural a través de fístula pancreático gástrica espontánea secundaria a necrosis encapsulada infectada. Acta Gastroenterol Latinoam. 2023;53(1):90-93 https://doi.org/10.52787/agl.v53i1.261

Referencias

1. Banks PA, Bollen TL, Dervenis C, Gooszen HG, Johnson CD, Sarr MG, et al. Classification of acute pancreatitis-2012: revision of the Atlanta classification and definitions by international consensus. Gut. 1 de enero de 2013;62(1):102-11.

2. Werge M, Novovic S, Schmidt PN, Gluud LL. Infection increases

mortality in necrotizing pancreatitis: A systematic review and meta-analysis. Pancreatol Off J Int Assoc Pancreatol IAP Al. octubre de 2016;16(5):698-707.

3. Lee A, Thompson CC. Direct endoscopic necrosectomy in retroflexion when using a lumen-apposing transmural covered metal stent. Gastrointest Endosc. 1 de enero de 2016;83(1):255.

4. Jiang W, Tong Z, Yang D, Ke L, Shen X, Zhou J, et al. Gastrointestinal Fistulas in Acute Pancreatitis With Infected Pancreatic or Peripancreatic Necrosis: A 4-Year Single-Center Experience. Medicine (Baltimore). abril de 2016;95(14):e3318.

5. Papadimitriou N, Robotis J, Rokkas T. Spontaneous Intra-Gastric Walled-Off Pancreatic Necrosis Rupture. JOP J Pancreas. 28 de noviembre de 2014;15(6):628-9.

6. Rana SS, Sharma R, Dhalaria L, Kang M, Gupta R. A Case Series of Late Gastrointestinal Fistulization in 16 Patients with WalledOff Necrosis. Dig Dis Sci. 1 de febrero de 2022;67(2):661-6.

7. Hua Z, Su Y, Huang X, Zhang K, Yin Z, Wang X, et al. Analysis of risk factors related to gastrointestinal fistula in patients with severe acute pancreatitis: a retrospective study of 344 cases in a single Chinese center. BMC Gastroenterol. 14 de febrero de 2017;17(1):29.

8. Kochhar R, Jain K, Gupta V, Singhal M, Kochhar S, Poornachandra KS, et al. Fistulization in the GI tract in acute pancreatitis. Gastrointest Endosc. 1 de febrero de 2012;75(2):436-40.

9. Rana. Do the morphological features of walled off pancreatic necrosis on endoscopic ultrasound determine the outcome of endoscopic transmural drainage? [Internet]. [citado 12 de septiembre de 2022]. Disponible en: https://journals.lww.com/eusjournal/ Fulltext/2014/03020/Do_the_morphological_features_of_walled_off.7.aspx

93 Acta Gastroenterol Latinoam 2023;53(1):90-93

Solución del caso: Complicaciones de patologías congénitas en la adultez

Viene de la página 38

Figura

TC a

de

que evidencia ausencia de colon en flanco y FID. En su lugar se observan asas intestinales con hiperemia parietal dispuestas en torno a la AMS y VMS y el marco colónico hacia el hemiabdomen contralateral

senterio. Su incidencia es de 3/10000 nacidos vivos. El síndrome de Apple Peel representa menos del 5% de las atresias yeyunoileales. Se caracteriza por la interrupción del flujo vascular de la arteria mesentérica superior. En consecuencia la revascularización precaria de la porción distal del intestino delgado genera atresia intestinal proximal y un segmento corto del íleon que adopta un aspecto espiralado alrededor de la neovasculatura. Esta condición puede causar una obstrucción intestinal neonatal secundaria a intususcepción, vólvulo intestinal o perforación. Su resolución es quirúrgica y el pronóstico variable, dada su alta morbimortalidad por fallas en la anastomosis, bridas, desórdenes de la motilidad, síndrome de intestino corto y malnutrición. En la etapa adulta pueden observarse las complicaciones secundarias a dicha enfermedad. En este caso, se presenta un caso de pseudodiarrea por fecaloma en una paciente con antecedente de Síndrome de Apple Peel. En general, los trastornos de la motilidad en este síndrome estarían relacionados con la hipoplasia de los nervios intramurales y del marcapaso celular, sumado a un músculo liso anormal en el segmento proximal de la atresia yeyunoileal, como resultado de la isquemia. Por su parte, la dilatación intestinal puede asociarse a sobrecrecimiento bacteriano en el intestino delgado y por ende ser otra de las causas de los síntomas.

Consentimiento para la publicación. Para la confección de este manuscrito, se utilizaron datos anonimizados que no han distorsionado su significado científico.

Propiedad intelectual. Los autores declaran que los datos y las figuras presentes en el manuscrito son originales y se realizaron en sus instituciones pertenecientes.

La atresia yeyunoileal es un defecto congénito del intestino delgado que se caracteriza por la ausencia parcial o completa de las membranas que lo conectan con el me-

Financiamiento. Los autores declaran que no hubo fuentes de financiación externas.

94 Acta Gastroenterol Latinoam 2023;53(1):94-95. ♦IMAGEN
DEL NÚMERO
3. Corte axial de nivel flancos Figura 4. Corte sagital de pelvis que muestra ampolla rectal y sigma dilatados por la presencia de fecaloma

Complicaciones de patologías congénitas en la adultez

Conflicto de interés. Los autores declaran no tener conflictos de interés en relación con este artículo.

Aviso de derechos de autor

© 2023 Acta Gastroenterológica Latinoamericana. Este es un artículo de acceso abierto publicado bajo los términos de la Licencia Creative Commons Attribution (CC BY­NC­SA 4.0), la cual permite el uso, la distribución y la reproducción de forma no comercial, siempre que se cite al autor y la fuente original.

Cite este artículo como: Balaban E, Moreno M L, Paternó M y col. Complicaciones de patologías congénitas en la adultez. Acta Gastroenterol Latinoam. 2023;53(1):94­95.

https://doi.org/10.52787/agl.v53i1.304

Referencias

1. Bin Arif T, Ahmed J, Malik F, Nasir S, Ali A. An Atypical Variant of Apple Peel Atresia: Reporting a Rare Case. Cureus. 2019 Nov 1;11(11):e6047. DOI: 10.7759/cureus.6047. PMID: 31819834; PMCID: PMC6886733.

2. Herman TE, Siegel MJ. Apple peel small bowel. J Perinatol. 2008 May;28(5):380-2. DOI: 10.1038/sj.jp.7211922. PMID: 18446163.

3. Barrie S. Rich, Matthew Bott, Nitsana Spigland, Multiple intestinal atresia with apple peel syndrome successfully treated with primary repair, Journal of Pediatric Surgery Case Reports, Volume 1, Issue 7, 2013, Pages 157-159, ISSN 2213-5766, https:// doi.org/10.1016/j.epsc.2013.05.015. (https://www.sciencedirect. com/science/article/pii/S2213576613000638)

4. Morris G, Kennedy A Jr, Cochran W. Small Bowel Congenital Anomalies: a Review and Update. Curr Gastroenterol Rep. 2016 Apr;18(4):16. DOI: 10.1007/s11894-016-0490-4. PMID: 26951229.

95 Acta Gastroenterol Latinoam 2023;53(1):94-95
Vol 53 Nº1 año 2023

Turn static files into dynamic content formats.

Create a flipbook
Issuu converts static files into: digital portfolios, online yearbooks, online catalogs, digital photo albums and more. Sign up and create your flipbook.