Vol 52 N4 2022

Page 1

GASTROENTEROLÓGICA LATINOAMERICANA

El adiós al Profesor Rodolfo Ernesto Corti Eduardo Mauriño, Rafael Améndola

Cómo buscar y leer la investigación médica más allá de PubMed. Nuevas apreciaciones en relación a la evidencia Rodolfo Pizarro

Enfermedad coronaria y dolor torácico crónico: abordaje actual según las últimas guías Leandro Barbagelata

Abordaje del paciente con dolor torácico no cardiogénico de origen esofágico María Mercedes Manresa, Paula Cecilia Carboné, Guillermina Diez

Novedades terapéuticas en la esofagitis eosinofílica Javier Molina-Infante, Alfredo J Lucendo

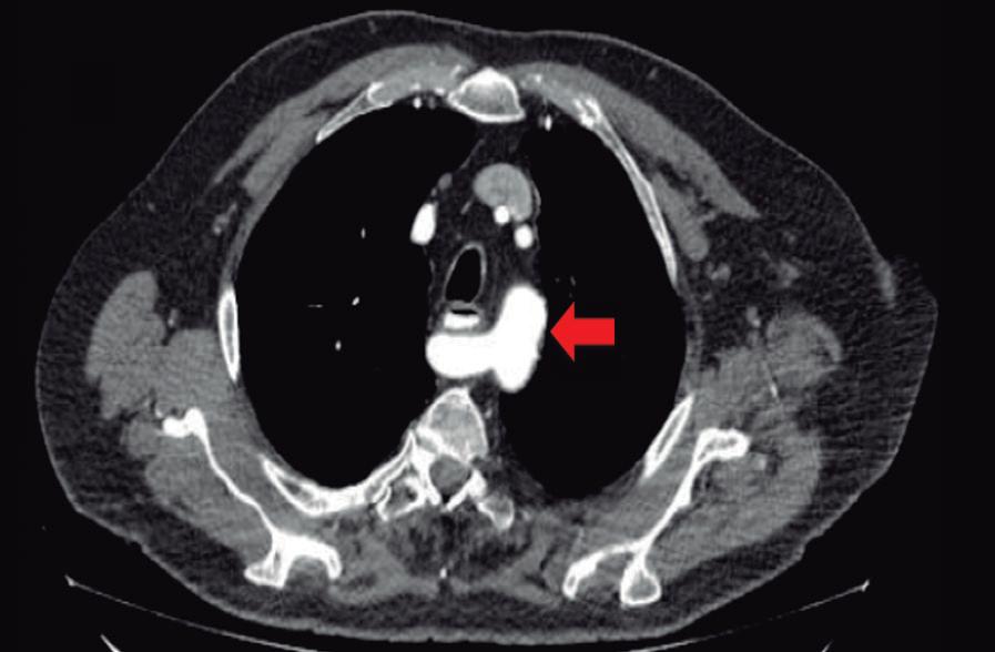
Paciente con vómitos en el periodo posoperatorio

Germán Francisco Rojas, Gabriel Adrián Mariño Camacho, Jesica Antonella Andruetto, Martín José Drago, Alejandro Moreira Grecco, Mariano Volpacchio, Esteban González Ballerga

Prevalencia de cólico infantil: experiencia del grupo de trabajo en trastornos del eje cerebro-intestino de la Sociedad Latinoamericana de Gastroenterología, Hepatología y Nutrición Pediátrica (SLAGHNP)

Carlos Alberto Velasco-Benítez, Claudia Jimena Ortíz-Rivera, Yeneile Lisbeth Huetio Florez, Edgar Játiva Mariño, Fátima Azereth Reynoso Zarzosa, Mariana Xail Espriu Ramírez, Jorge Alberto Macías-Flores, Roberto Arturo Zablah Córdova, Ricardo A. Chanis Águila, Trini Fragoso Arbelo, Milton Danilo Mejía Castro, Yunuen Rivera Suazo

Vol 52 Nº4 año 2022 ISSN: 2469-1119

Prevalencia de malnutrición en pacientes con cirrosis hepática: estudio observacional

María Cielo Gutiérrez, Andrea Curia, Enzo Rey, Juan Antonio Sordá, Jorge Daruich, Esteban González Ballerga

Análisis de los datos de Argentina y Chile del estudio observacional ICONIC

Alicia Sambuelli, Gustavo Walsen Arangua, Juan Andrés de Paula, Juan José Trakal, Martín Toro, Martín Yantorno, Soledad Suárez Ordóñez

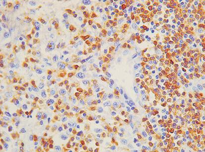
Estudio descriptivo del microambiente inmunológico tumoral e infección por el virus de Epstein-Barr en el adenocarcinoma gástrico Lucy Bravo-Luna, Rosa Amalia Dueñas-Cuellar, Victoria Eugenia Niño-Castaño, Ángela Merchán-Galvis, Luisa Katherine Orozco-Morales, Cristhian Danilo Padilla-Medina, Harold Bolaños

La operación de Frey en el tratamiento quirúrgico de la pancreatitis crónica

Hugo Zandalazini, Carlos Ocampo, Jorge Facundo Alonso Quintas, Luciano Coiz, Magalí Muthular, Pablo Merchan, Enrique Petracchi Disfagia lusoria y esófago hipercontráctil. Reporte de un caso Tatiana Noemí Uehara, Harumi Hashimoto, Juan Manuel Montero, Liria Martínez, Fernanda Gutiérrez, Mauro Santana, Esteban González Ballerga, Adriana Tévez

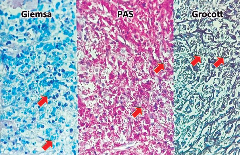
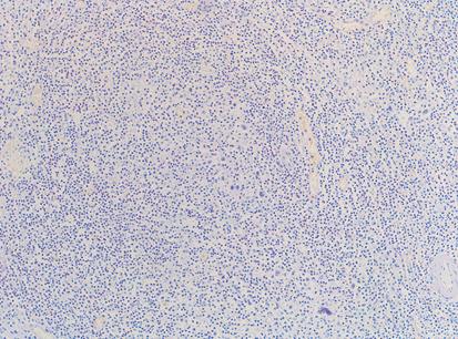
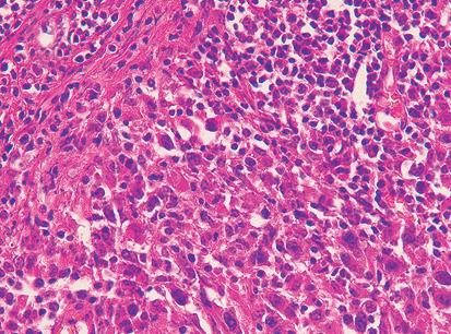
Histoplasmosis hepática y peritoneal simulando otra patología Lourdes Mollard, Magalí Chahdi Beltrame, Valeria Luján Salutto, José Gabriel Cervantes, María Luján Del Bueno, Emilio Gastón Quiñonez, Marcelo Enrique Lenz Virreira, Silvia Rausch, Francisco Juan Mattera

Paciente con vómitos en el periodo posoperatorio

Germán Francisco Rojas, Gabriel Adrián Mariño Camacho, Jesica Antonella Andruetto, Martín José Drago, Alejandro Moreira Grecco, Mariano Volpacchio, Esteban González Ballerga

Sociedad de Gastroenterología del Uruguay

Órgano
o cial
413 414 418 424 439 453 454 RECORDATORIO SECCIÓN EVIDENCIAS REVISIONES IMAGEN DEL NÚMERO MANUSCRITOS ORIGINALES
464 476 484 494 502 506 512 CASOS CLÍNICOS SOLUCIÓN DE CASO

COMITÉ EDITORIAL

EDITOR EN JEFE Jorge A. Olmos

Hospital de Clínicas José de San Martín, Universidad de Buenos Aires. Programa en Efectividad Clínica. Universidad de Buenos Aires, CABA

EDITORES ASOCIADOS

Instituto de Gastroenterología Salim, Salta Capital. Curso de investigación, bioinformática y bioestadística. Hospital de Clínicas José de San Martín. Universidad de Buenos Aires, CABA

María Marta Piskorz

Hospital de Clínicas José de San Martín, Universidad de Buenos Aires. Programa en Efectividad Clínica. Universidad de Buenos Aires, CABA

Juan Pablo Stefanolo

Hospital de Gastroenterología Dr. Carlos Bonorino Udaondo. Programa en Efectividad Clínica. Universidad de Buenos Aires, CABA

SECRETARIA

PRODUCCIÓN Y EDICIÓN

Raúl Groizard

DISEÑO Y ARMADO DIGITAL

Carlos Daniel Casuscelli

CORRECTORES

María Nochteff Avendaño / Esperanza Janeiro / Gabriela Churla

PUBLICIDAD

Establecer contacto con: Secretaría Revista Acta: actasage@gmail.com o Sociedad Argentina de Gastroenterología: sagesecretaria@gmail.com Tel.: 4816-9396/9391

Rodolfo Pizarro

Hospital Italiano de Buenos Aires. Master en Efectividad Clínica, CABA

ACTA GASTROENTEROL LATINOAM - DICIEMBRE 2022;VOL 52:Nº 4
Tamara Alvarez Worobey Mercedes Manresa
Los integrantes del Comité Editorial acreditan formación en Edición y Corrección de Publicaciones Científicas. Universidad de Valencia, España Para la evaluación y preparación de los manuscritos, se siguen los requerimientos del COPE y el ICMJE.
SEGUINOS EN NUESTRAS REDES SOCIALES /actagastro /ACTA_Gastro /actagastro

Órgano oficial Sociedad Argentina de Gastroenterología

COMISIÓN DIRECTIVA

SAGE - PERÍODO 2022

COMITÉ CONSULTOR

Corti De Paula Gadano García Muñoz Sassi www.latingrafica.com.ar contacto con raulgroizard@gmail.com 4864-8716

COMISIÓN DIRECTIVA

SGU - PERÍODO 2022-2024

COMISIÓN DIRECTIVA SAGE-PERÍODO 2013

COMISIÓN DIRECTIVA SGU - BIENIO 2013-2015

REVISORES NACIONALES

Ana Adet

Valentina Araya Fernando Barreyro Sandra Basso

Maricel Bellicoso Axel Beskow

Andrea González

Margarita Ramonet Alejandro Rey

Ana Rocca

Andrés Ruf

PRESIDENTE

Fernando Arroyo (Ecuador)

Alfredo E. Currás

León Barúa (Perú)

Henry Cohen (Uruguay)

VICEPRESIDENTE

Juan C. Chiocca (Argentina)

Oscar Laudanno

Eran Goldin (Israel)

Roberto Groszmann (EE.UU.)

SECRETARIA

PRESIDENTE Alfredo García

PRESIDENTE

Virginia López

VICEPRESIDENTE Luis M. Bustos Fernández SECRETARIO Sergio Huernos

PRESIDENTE Eduardo Gutierrez Galiana

1er VICEPRESIDENTE Asadur Tchekmedyian

1 er VICEPRESIDENTE

Ximena Rodríguez

2do. VICEPRESIDENTE María Antonieta Pessolano

2 er VICEPRESIDENTE

SECRETARIA Laura Quintana

Claudia Bestani

Román Bigliardi Jorge Bosch Maximiliano Bun Fernando Cairo Federico Cassella

Ramiro González Sueyro Verónica Gorodner Ubaldo Gualdrini Silvia Gutiérrez Mauricio Guzmán Hui Jer Hwang

Nadia Kujta Matías Lafage

Oscar Laudanno Mariano Loureiro

Judith Cohen Sabban José María Sanguinetti Fran Schlottmann

Alberto Seehaus Edgardo Smecuol Luis Soifer

Silvia Susana Soler Eduardo Sosa

Josefina Etchevers

Vicente Gutiérrez (Argentina)

Alejandro Jmelnitzky (Argentina)

PROSECRETARIA

David Kravetz (EE.UU.)

Josefina Sobrero

Oscar Laudanno (Argentina)

Roberto Santos Lucero (Argentina)

TESORERO

Pedro Llorens (Chile)

Martín Toro

Fernando Magnanini (Argentina)

PROSECRETARIA Rosana Argento TESORERA Judith Doweck

Alberto Sanguinetti

SECRETARIA Yéssica Pontet

PROTESORERO Ubaldo Gualdrini

TESORERO Sergio Vázquez

VOCALES TITULARES Carolina Fischer Carolina Bolino Daniel Peralta

TESORERO Claudio Iglesias

SECRETARIA DE ACTAS Alicia Pérez Medeiros

VOCALES Rosa Cruells Patricia Gaggero

SUPLENTE PREFERENCIALES

SECRETARIA DE ACTAS Inés Trucco

Artigas Escudero Martha Ribeiro

PROGRAMACIÓN NACIONAL Álvaro Fiorini

Víctor Pérez (Argentina)

PROTESORERO

Alejandro Pulpeiro (Argentina)

Alejandro Nieponice

Humberto Reyes (Chile)

VOCALES TITULARES

Eduardo Schiffrin (Argentina)

VOCALES SUPLENTES Javier Valentini Ma. Ines Delli Quadri Raquel González

ENCARGADO DE ASUNTOS INTERNACIONALES

Carolina Olano

CONSULTOR EX–PRESIDENTE Claudio Bilder

ENCARGADO DE PROGRAMACIÓN NACIONAL

PROGRAMACIÓN INTERNACIONAL Horacio Gutiérrez Galiana COMISIÓN FISCAL PRESIDENTE Javier Barreiro

Hugo Tanno (Argentina)

Jorge Valenzuela (Chile)

Gusta vo Fabián Benito Juan Manuel Marini María Lucía Petruzzi

Guido Villa Gómez (Bolivia)

VOCALES SUPLENTES

Roberto Zeilicoff (Argentina)

Betiana Pucci Florencia Dulcich Astrid Rausch

CONSULTOR

EXPRESIDENTE

Fabio Nachman

CONSULTOR

EXPRESIDENTE

Fabio Nachman

Edgardo Smecuol

Jorge Olmos Ubaldo Gualdrini Sonia Niveloni

Susana Kohen

VOCALES

Ana Brito

CONSEJO ASESOR DE SAGE Claudio Bilder Horacio Vázquez Roberto Mazure Luis Viola Ricardo Mastai

Marie Howe

INTEGRANTES Carlos Batalla Guido Annuiti

SUPLENTES

Cecilia Torres José Figuera Ethel Szafer

Suplentes preferenciales Adriana Raggio Viviana Nachmann Laura Reyes

COMISIÓN FISCAL

Miembros titulares Daniel Taullard José Pedro Ibargoyen Andrea Maucione

Suplentes

Beatriz Iade María Cristina Dacoll Elena Trucco

Juan Pablo Campana María C. Cañero Velasco Marcela Carballido Cecilia Carraro Mariano Cartier Cecilio Cerisoli Karina Collia Luis Colombato Mónica Contreras Florencia Costa Andrea Curia Cecilia Curvale Jorge Daruich Juan Andrés De Paula Judith Doweck Lucila Facio José L. Fernández Estanislao Gómez

Carlos Miguel Lumi Manuel Mahler Mercedes Manresa Eduardo Mauriño Ezequiel Matías Mauro Dolores Matoso

Lucas McCormack Guillermo Mendez Daniela Milito

Alejandro Moreira María Laura Moreno

Fabio Nachman Adrián Narvaez

Alejandro Nieponice

Juan Manuel O’Connor

Juan Ignacio Olmos Agostina Pascual Russo Analía Verónica Pasqua Florencia Pollarsky

REVISORES INTERNACIONALES

Herbert Burgos

Henry Cohen

Nicolás González

Angel Lanas

Xavier Llor

Natalie Nabon

Carolina Olano

Julio Carlos Pereira Lima

Mario Reis Alvares da Silva

José M. Remes-Troche

Arnoldo Riquelme

Carlos Robles Medrana

Juan Spina Hugo Tanno María del Carmen Toca Lucio Uranga Carlos Vaccaro

María Inés Vaccaro

Amanda Varela Mariano Villarroel Mariano Volpacchio Marta Wagener Daniel Wainstein

Andrés Wonaga Florencia Yamasato David Zagalsky Natalia Zamora Hugo Zandalazini Cecilia Zubiri

Roque Saenz

Asadur Jorge Tchekmedyian

Marcelo Vela Elena Verdú

Acta Gastroenterológica Latinoamericana es el órgano oficial de la Sociedad Argentina de Gastroenterología (SAGE) y la Sociedad de Gastroenterología del Uruguay (SGU). Propiedad intelectual Nº 231736

Las opiniones y afirmaciones expresadas en artículos, editoriales u otras secciones de Acta Gastroenterológica Latinoamericana corresponden a los respectivos autores.

Edita: Sociedad Argentina de Gastroenterología, Ciudad Autónoma de Buenos Aires, Argentina. ISSN 2469 -1119

ACTA GASTROENTEROL LATINOAM - DICIEMBRE 2022;VOL 52:Nº 4
ACTA GASTROENTEROLLATINOAM - DICIEMBRE 2013;VOL 43:Nº4
JEFE Fernández EDITORIAL
12/4/13 00:57 PM Página 1

El adiós al Profesor Rodolfo Ernesto Corti Eduardo Mauriño, Rafael Améndola 413

Cómo buscar y leer la investigación médica más allá de PubMed. Nuevas apreciaciones en relación a la evidencia Rodolfo Pizarro 414 SECCIÓN EVIDENCIAS

REVISIONES

Enfermedad coronaria y dolor torácico crónico: abordaje actual según las últimas guías Leandro Barbagelata 418

Abordaje del paciente con dolor torácico no cardiogénico de origen esofágico María Mercedes Manresa, Paula Cecilia Carboné, Guillermina Diez 424

Novedades terapéuticas en la esofagitis eosinofílica Javier Molina-Infante, Alfredo J Lucendo 439

IMAGEN DEL NÚMERO

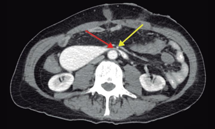
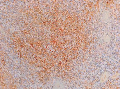
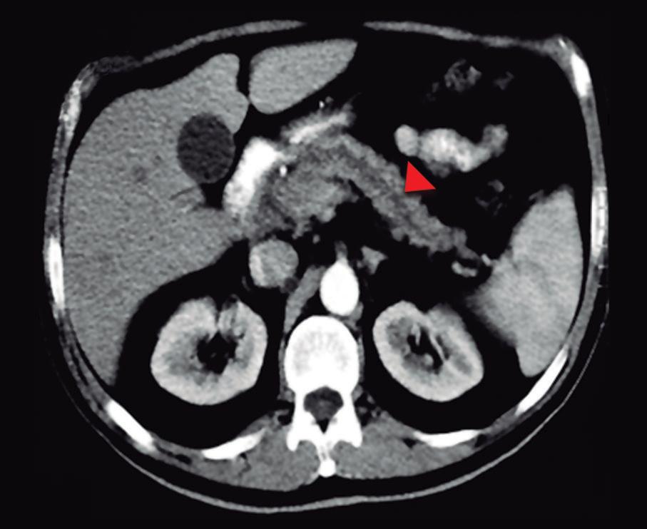
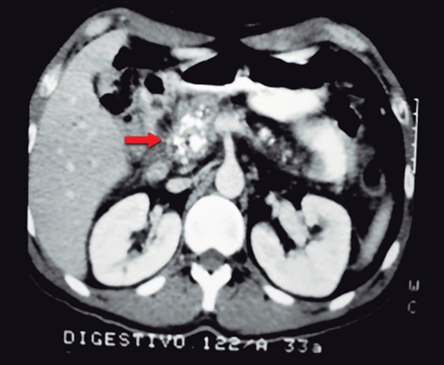
Paciente con vómitos en el periodo posoperatorio

Germán Francisco Rojas, Gabriel Adrián Mariño Camacho, Jesica Antonella Andruetto, Martín José Drago, Alejandro Moreira Grecco, Mariano Volpacchio, Esteban González Ballerga

MANUSCRITOS ORIGINALES

Prevalencia de cólico infantil: experiencia del grupo de trabajo en trastornos del eje cerebro-intestino de la Sociedad Latinoamericana de Gastroenterología, Hepatología y Nutrición Pediátrica (SLAGHNP)

Carlos Alberto Velasco-Benítez, Claudia Jimena Ortíz-Rivera, Yeneile Lisbeth Huetio Florez, Edgar Játiva Mariño, Fátima Azereth Reynoso Zarzosa, Mariana Xail Espriu Ramírez, Jorge Alberto Macías-Flores, Roberto Arturo Zablah Córdova, Ricardo A. Chanis Águila, Trini Fragoso Arbelo, Milton Danilo Mejía Castro, Yunuen Rivera Suazo

453

454

Prevalencia de malnutrición en pacientes con cirrosis hepática: estudio observacional María Cielo Gutiérrez, Andrea Curia, Enzo Rey, Juan Antonio Sordá, Jorge Daruich, Esteban González Ballerga 464

Análisis de los datos de Argentina y Chile del estudio observacional ICONIC

Alicia Sambuelli, Gustavo Walsen Arangua, Juan Andrés de Paula, Juan José Trakal, Martín Toro, Martín Yantorno, Soledad Suárez Ordóñez

476

409 ACTA GASTROENTEROL LATINOAM - DICIEMBRE 2022:VOL 52:Nº4 u ÍNDICE
RECORDATORIO

Estudio descriptivo del microambiente inmunológico tumoral e infección por el virus de Epstein-Barr en el adenocarcinoma gástrico

Lucy Bravo-Luna, Rosa Amalia Dueñas-Cuellar, Victoria Eugenia Niño-Castaño, Ángela Merchán-Galvis, Luisa Katherine OrozcoMorales, Cristhian Danilo Padilla-Medina, Harold Bolaños

484

SOLUCIÓN DEL CASO

La operación de Frey en el tratamiento quirúrgico de la pancreatitis crónica

Hugo Zandalazini, Carlos Ocampo, Jorge Facundo Alonso Quintas, Luciano Coiz, Magalí Muthular, Pablo Merchan, Enrique Petracchi 494

CASOS CLÍNICOS Disfagia lusoria y esófago hipercontráctil. Reporte de un caso

Tatiana Noemí Uehara, Harumi Hashimoto, Juan Manuel Montero, Liria Martínez, Fernanda Gutiérrez, Mauro Santana, Esteban González Ballerga, Adriana Tévez

Histoplasmosis hepática y peritoneal simulando otra patología

Lourdes Mollard, Magalí Chahdi Beltrame, Valeria Luján Salutto, José Gabriel Cervantes, María Luján Del Bueno, Emilio Gastón Quiñonez, Marcelo Enrique Lenz Virreira, Silvia Rausch, Francisco Juan Mattera

502

Paciente con vómitos en el periodo posoperatorio

Germán Francisco Rojas, Gabriel Adrián Mariño Camacho, Jesica Antonella Andruetto, Martín José Drago, Alejandro Moreira Grecco, Mariano Volpacchio, Esteban González Ballerga

506

512

410 ACTA GASTROENTEROL LATINOAM - DICIEMBRE 2022:VOL 52:Nº4 u ÍNDICE
MANUSCRITOS ORIGINALES

In Memory of Professor Rodolfo Ernesto Corti Eduardo Mauriño, Rafael Améndola 413

EVIDENCE SECTION How to Search for and Read the Medical Research beyond the PubMed. New Insights Regarding the Evidence Rodolfo Pizarro 416

REVIEWS

Coronary Artery Disease and Chronic Chest Pain: Current Approach According to the Latest Guidelines Leandro Barbagelata 418

IMAGE OF THE ISSUE

ORIGINAL ARTICLES

Approach to the Patient with Non-cardiogenic Chest Pain of Esophageal Origin

María Mercedes Manresa, Paula Cecilia Carboné, Guillermina Diez 424

Therapeutic Developments in Eosinophilic Esophagitis

Javier Molina-Infante, Alfredo J Lucendo 439

Patient with Postoperative Vomiting

Germán Francisco Rojas, Gabriel Adrián Mariño Camacho, Jesica Antonella Andruetto, Martín José Drago, Alejandro Moreira Grecco, Mariano Volpacchio, Esteban González Ballerga

453

Prevalence of Infantile Colic: Experience of the Working Group on Disorders of Gut-Brain Axis of the Latin American Society of Paediatric Gastroenterology, Hepatology and Nutrition (LASPGHAN)

Carlos Alberto Velasco-Benítez, Claudia Jimena Ortíz-Rivera, Yeneile Lisbeth Huetio Florez, Edgar Játiva Mariño, Fátima Azereth Reynoso Zarzosa, Mariana Xail Espriu Ramírez, Jorge Alberto Macías-Flores, Roberto Arturo Zablah Córdova, Ricardo A. Chanis Águila, Trini Fragoso Arbelo, Milton Danilo Mejía Castro, Yunuen Rivera Suazo

454

Prevalence of Malnutrition in Patients with Liver Cirrhosis: Observational Study

María Cielo Gutiérrez, Andrea Curia, Enzo Rey, Juan Antonio Sordá, Jorge Daruich, Esteban González Ballerga 464

Argentina and Chile Data Analysis from the ICONIC Observational Study

Alicia Sambuelli, Gustavo Walsen Arangua, Juan Andrés de Paula, Juan José Trakal, Martín Toro, Martín Yantorno, Soledad Suárez Ordóñez

476

411 ACTA GASTROENTEROL LATINOAM - DICIEMBRE 2022:VOL 52:Nº4 u INDEX
IN
MEMORIAM

Descriptive Study of Tumor Immune Microenvironment and Epstein-Barr Virus Infection in Gastric Adenocarcinoma

Lucy Bravo-Luna, Rosa Amalia Dueñas-Cuellar, Victoria Eugenia Niño-Castaño, Ángela Merchán-Galvis, Luisa Katherine OrozcoMorales, Cristhian Danilo Padilla-Medina, Harold Bolaños

The Frey Procedure in the Surgical Treatment of Chronic Pancreatitis

Hugo Zandalazini, Carlos Ocampo, Jorge Facundo Alonso Quintas, Luciano Coiz, Magalí Muthular, Pablo Merchan, Enrique Petracchi 494

CASE REPORTS Lusory Dysphagia and Hypercontractile Esophagus. A Case Report

Tatiana Noemí Uehara, Harumi Hashimoto, Juan Manuel Montero, Liria Martínez, Fernanda Gutiérrez, Mauro Santana, Esteban González Ballerga, Adriana Tévez

Hepatic and Peritoneal Histoplasmosis Simulating Another

Pathology

Lourdes Mollard, Magalí Chahdi Beltrame, Valeria Luján Salutto, José Gabriel Cervantes, María Luján Del Bueno, Emilio Gastón Quiñonez, Marcelo Enrique Lenz Virreira, Silvia Rausch, Francisco Juan Mattera

502

SOLUTION OF THE CASE

Patient with Postoperative Vomiting

Germán Francisco Rojas, Gabriel Adrián Mariño Camacho, Jesica Antonella Andruetto, Martín José Drago, Alejandro Moreira Grecco, Mariano Volpacchio, Esteban González Ballerga

506

512

412 ACTA GASTROENTEROL LATINOAM - DICIEMBRE 2022:VOL 52:Nº4 u INDEX
ORIGINAL
484
ARTICLES

El adiós al Profesor Rodolfo Ernesto Corti

Eduardo Mauriño1 · Rafael Améndola2

Hospital Dr. Carlos Bonorino Udaondo. Ciudad Autónoma de Buenos Aires, Argentina.

Acta Gastroenterol Latinoam 2022;52(4):413

Recibido: 01/12/2022 / Publicado online: 21/12/2022 / https://doi.org/10.52787/agl.v52i4.285

El lunes 22 de agosto, dos días después de haber cumplido 72 años y a pocos días de iniciada su jubilación, nos dejó para siempre el Profesor Rodolfo Ernesto Corti, quien fuera el Jefe de la Sección Esófago y Estómago del Hospital de Gastroenterología “Dr. Bonorino Udaondo” durante cerca de tres décadas. A quienes fuimos sus compañeros y amigos su partida nos deja un gran vacío.

Rodolfo Corti tuvo una destacada participación en la vida académica del Hospital de Gastroenterología. Como Coordinador del Área de Docencia e Investigación mantuvo un contacto permanente y comprometido con residentes, concurrentes y numerosos rotantes de otros hospitales que pasaban por los diferentes servicios y secciones de nuestro Hospital. Fue sucesivamente Subdirector y Director de la carrera de médico especialista en Gastroenterología de la Facultad de Medicina de la Universidad de Buenos Aires (unidad académica Bonorino Udaondo) y Profesor Adjunto de Gastroenterología en la Universidad del Salvador.

Fue miembro fundador del Club Argentino de Estómago y Duodeno (CADED) en 1998, y presidente del mismo en el año 2000. Durante ese período llevó adelante el Simposio Internacional de Patología Gastroduodenal CADED realizado en Bariloche. El Simposio aún se recuerda como un hito importante, que alcanzó una concurrencia masiva y contó con la presencia de significativos representantes nacionales e internacio-

nales, además del cálido e invalorable acompañamiento social de su esposa María Inés Corti.

También desempeñó una destacada actividad en la Sociedad Argentina de Gastroenterología (SAGE), de la que fue Presidente en el año 2003.

En el año 2006 fue elegido Director ad Honoren de la Escuela de posgrado (SAGE), cargo que desempeñó con atención hasta 2010. En el interior del país y en Latinoamérica brindó excelentes conferencias de actualización y en reiteradas oportunidades trasmitió su valiosa experiencia en la patología esofagogastroduodenal.

En 2012 fue presidente del Congreso Argentino de Gastroenterología y Endoscopia Digestiva, realizado el 4, 5 y 6 de octubre en el Hotel NH Provincial de Mar del Plata.

Durante los años 2010 a 2014 fue miembro del comité de publicaciones (Gastroenterology News) de la Organización Mundial de Gastroenterología (OMGE).

Sin embargo, es probable que su principal virtud haya sido la dedicación con que se entregaba a sus pacientes, su capacidad de acompañamiento y amable contención, un rasgo invalorable y poco frecuente premiado por el afecto que los pacientes le expresaban.

Quienes conformamos la sección de esófago y estómago en los últimos años: Dres. Judith Doweck, Liliana Schenone, Roberto Farías, Javier Bori, Liliana Monastra, Graciela Menendez, Rafael Améndola, nos sentimos felices y orgullosos de haber pertenecido a este grupo bajo la conducción del Dr. Rodolfo Ernesto Corti.

Correspondencia:: Eduardo Mauriño

Correo electrónico: eduardo.maurino24@gmail.com

Pero sobre todo vamos a extrañar no sólo al profesional sino al ser humano y amigo con quien hemos compartido tantas veces reuniones y encuentros familiares.

413 Acta Gastroenterol Latinoam 2022;52(4):413 ♦RECORDATORIO
Profesor Rodolfo Ernesto Corti

EVIDENCIAS

Cómo buscar y leer la investigación médica más allá de PubMed. Nuevas apreciaciones en relación a la evidencia

Jefe de Cardiología Hospital Italiano de Buenos Aires. Master en Efectividad Clínica. Ciudad Autónoma de Buenos Aires, Argentina.

Acta Gastroenterol Latinoam 2022;52(4):414-415

Recibido: 01/12/2022 / Aceptado: 17/12/2022 / Publicado online: 21/122022 / https://doi.org/10.52787/agl.v52i4.284

Evaluar la calidad de un artículo científico ha demostrado ser una tarea elusiva. La bibliométrica es el valor utilizado actualmente para este propósito. Si bien el factor de impacto de la revista no se diseñó originalmente para determinar la calidad de investigación en un artículo científico, se ha transformado en un sustituto para delinear la calidad de una revista e incluso para representar la calidad de los artículos individuales en esa revista.

El factor de impacto de la revista alude sólo a la revista en cuestión y no a las métricas de los artículos; refiere a la cantidad de citaciones que recibe la revista en un período de dos años dividido el número de artículos publicados en ese período.

Actualmente se reconoce al factor de impacto como un subrogante del impacto de los artículos de la revista y de los autores individuales que participan de la misma, pero en esencia esa no fue la idea original del término.

Si bien hay otras métricas que refieren a las citaciones, autores y revistas (Eigenfactor, Citescore, Snip, Scimago, Article Influence Score, h-Index, Usemetric) todas responden a una cualidad determinada de la información científica.

Los avances en la tecnología informática de principios del siglo XXI han permitido experimentar una revolución explosiva de publicaciones científicas que incluyen acceso abierto, publicación en línea y accesibilidad mundial a las publicaciones. Estos desarrollos han hecho evidente que se requieren herramientas más sofisticadas para determinar la calidad del material presente en la literatura científica.

Las métricas de investigación son herramientas para medir el desempeño a nivel de la revista y en el nivel del autor.

En este avance de la información hoy tienen un gran impacto las redes sociales, las que todavía no están medidas en forma adecuada (blogs, pots, Facebook, tweets y otros contenidos de las redes).

Este concepto hoy se lo conoce como Altimetrics (alternativas a las métricas tradicionales).

Las métricas alternativas proporcionan información adicional sobre la utilización de un artículo observando la actividad social en torno al artículo de la revista.

Correspondencia: Rodolfo Pizarro

Correo electrónico: rodolfo.pizarro@hospitalitaliano.org.ar

Acta Gastroenterol Latinoam 2022;52(4):414-415

El gran problema de esta información volcada en las redes es su autenticidad, pero es una realidad que hoy la búsqueda de la información corre por esta vía que llega más rápido y está al alcance de todos.

Otra consideración a tener en cuenta cuando uno bus-

414
SECCIÓN

ca y lee evidencia científica es la pesquisa en las revistas de la especialidad de nuestro medio que presentan información epidemiológica autóctona que de otra manera no podemos conocer e investigar.

Es de enorme importancia leer la información de las revistas de nuestro medio, ya que aportan investigación para contrastar con las experiencias de otros grupos y permiten conocer nuestra realidad.

Otro aspecto de importancia es el lenguaje de origen del lector de la evidencia.

Si bien hoy se asocia a la lengua inglesa la “mejor” evidencia para seguir los avances de la especialidad, es una realidad que no todos saben leer en inglés.

Hay por tanto espacio para publicaciones que estén a medio camino de la alta divulgación y de la investigación de punta, que sean capaces de verter a lenguas distintas de la inglesa lo sustancial de los distintos avances y que puedan brindar aportes realmente valiosos.

Es decir, la lengua de origen es fundamental para facilitar la puesta al día de los médicos que hablan en su idioma.

Esta es una función esencial de las revistas de la especialidad de alta divulgación en el ámbito nacional, que deben garantizar la publicación de trabajos de calidad científica que por razones de mercado o estrategia no culminan en revistas de mayor prestigio, ya que impactan en la formación del conocimiento del médico.

Por otro lado se crea un ámbito lingüístico y terminológico para que los avances de la ciencia se transmitan en el lenguaje de origen del lector.

Más allá de PubMed, debemos jerarquizar la información científica de nuestro medio y comprender que las ciencias se mueven en forma constante y que el factor de impacto de las revistas no es una condición irreversible de calidad individual de los artículos, sino más bien comprender que otras “métricas” de la evidencia científica son de utilidad para nuestra actividad médica diaria.

Propiedad intelectual. El autor declara que los datos presentes en el manuscrito son originales y se realizaron en sus instituciones pertenecientes.

Financiamiento. El autor declara que no hubo fuentes de financiación externas.

Conflicto de interés. El autor declara no tener conflictos de interés en relación con este artículo.

Aviso de derechos de autor © 2022 Acta Gastroenterológica Latinoamericana. Este es un artículo de acceso abierto publicado bajo los términos de la Licencia Creative Commons Attribution (CC BY-NC-SA 4.0), la cual permite el uso, la distribución y la reproducción de forma no comercial, siempre que se cite al autor y la fuente original.

Cite este artículo como: Pizarro Rodolfo. Cómo buscar y leer la investigación médica más allá de PubMed. Nuevas apreciaciones en relación a la evidencia. Acta Gastroenterol Latinoam. 2022;52 (4):414-415. https://doi.org/10.52787/ agl.v52i4.284

Referencias

· Kavic MS, Satava RM. Scientific Literature and Evaluation Metrics: Impact Factor, Usage Metrics, and Altmetrics. JSLS July- September 2021;25:1-4.

· DeMaria AN. Metrics for Medical Journals. Structural Heart 2017;1:2017-208.

· Santana S. Las métricas alternativas y sus potencialidades para el profesional de la salud. Rev Médica Clínica Las Condes 2018;29:484490.

· Fausto S. Altmetrics, Altmétricas, Altmetrías: nuevas perspectivas sobre la visibilidad y el impacto de la investigación científica. 14 Jun 2013 [citado 10 Mar 2017]. En: SciELO en Perspectiva [Internet].

· Caló LN. Métricas de impacto y evaluación de la ciencia. Rev Peru Med Exp Salud Publica. 2022;39:236-40.

· José Luis González Quirós. Sobre la lengua de la medicina. Educación Médica 2018;19:56-59.

Acta Gastroenterol Latinoam 2022;52(4):414-415

415
Cómo buscar y leer la investigación médica más allá de PubMed. Nuevas apreciaciones en relación a la evidencia Rodolfo Pizarro

How to Search for and Read the Medical Research beyond the PubMed. New Insights Regarding the Evidence

Head of Cardiology, Hospital Italiano de Buenos Aires. Master in Clinical Effectiveness. Ciudad Autónoma de Buenos Aires, Argentina.

Acta Gastroenterol Latinoam 2022;52(4):416-417

Received: 01/12/2022 / Accepted: 17/12/2022 / Published online: 21/12/2022 / https://doi.org/10.52787/agl.v52i4.284

Assessing the quality of a scientific article has proven to be an elusive task. Bibliometrics is the value currently used for this purpose. Although the journal impact factor was not originally designed to determine the quality of research in a scientific article, it has become a surrogate for delineating the quality of a journal and even representing the quality of the individual articles in that journal.

The journal impact factor refers only to the journal in question and not to the metrics of the articles; it refers to the number of citations that the journal receives in a twoyear period divided by the number of articles published in that period.

The impact factor is currently recognized as a surrogate for the impact of the articles in the journal and the individual authors who participate in it, but in essence that was not the original idea of the term.

Although there are other metrics that refer to citations, authors and journals (Eigenfactor, Citescore, Snip, Scimago, Article Influence Score, h-Index, Usemetric) they all respond to a certain quality of the scientific information.

Advances in computer technology at the beginnig of the 21st century have seen an explosive scientific publishing revolution that has included open access, online publication, and worldwide accessibility to these publications. These developments have made it evident that more sophisticated tools are required to delimit the quality of the material present in the scientific literature.

Research metrics are tools for measuring performance at the journal level and at the author level.

Today, social networks which have not yet been adequately measured (blogs, pots, Facebook, tweets and other network content) have a great impact on this advance in information.

This concept is now known as Altimetrics (alternatives to traditional metrics).

Alternate metrics provide additional insight into the usage of an article by looking at the social activity around the journal article.

The big problem with this information posted on the networks is its authenticity, but it is a reality that today the investigation runs this way, which arrives faster and is available to everyone.

Correspondence: Rodolfo Pizarro

Email: rodolfo.pizarro@hospitalitaliano.org.ar

Acta Gastroenterol Latinoam 2022;52(4):416-417

Another consideration to take into account when looking for and reading scientific evidence is the research

416
♦EVIDENCE SECTION

in journals of the specialty of our environment that present autochthonous epidemiological information that we cannot otherwise know and investigate.

It is of enormous importance to read the information from the magazines of our environment, since they provide research to contrast with the experience of other groups and allow us to know our reality.

Another important aspect is the language of origin of the reader of the evidence.

Although today the "best" evidence is associated with the English language to follow the advances of the specialty, it is a reality that not everyone knows how to read in English.

There is therefore room for publications that are halfway between high dissemination and state-of-the-art research that are capable of pouring into languages other than English the substance of the different advances and can provide truly substantial contributions.

In other words, the language of origin is essential to facilitate the updating of doctors who speak their language.

This is an essential function of specialized journals with high dissemination at the national level, which must guarantee the publication of works of scientific quality that, for reasons of market or strategy, do not culminate in more prestigious journals, since they have an impact on the formation of doctor's knowledge.

On the other hand, a linguistic and terminological field is created so that the advances of science are transmitted in the language of origin of the reader.

Beyond PubMed, we must prioritize the scientific information in our environment and understand that the sciences move constantly and that the impact factor of journals is not an irreversible condition of the individual quality of the articles, but rather understand that other “metrics” of the scientific evidence are useful for our daily medical activity.

Intellectual Property. The author declares that the data and tables that appear in this manuscript are original and were made in his belonging institution.

Funding. The author states that there were no external funding sources.

Conflict of interest. The author declares that he has no conflicts of interest in relation to this article. Copyright © 2022 Acta Gastroenterológica latinoamericana. This is an openaccess article released under the terms of the Creative Commons Attribution (CC BY-NCSA 4.0) license, which allows non-commercial use, distribution, and reproduction, provided the original author and source are acknowledged.

Cite this article as: Pizarro Rodolfo. How to Search for and Read the Medical Research beyond the PubMed. New Insights Regarding the Evidence. Acta Gastroenterol Latinoam. 2022;52(4):416-417. https://doi.org/10.52787/agl. v52i4.284 References

· Kavic MS, Satava RM.Scientific Literature and Evaluation Metrics: Impact Factor, Usage Metrics, and Altmetrics. JSLS July- September 2021 ; 25:1-4.

· DeMaria AN. Metrics for Medical Journals. Structural Heart 2017; 1:2017-208.

· Santana S. Las métricas alternativas y sus potencialidades para el profesional de la salud. Rev Médica Clínica Las Condes 2018;29: 484-490.

· Fausto S. Altmetrics, Altmétricas, Altmetrías: nuevas perspectivas sobre la visibilidad y el impacto de la investigación científica. 14 Jun 2013 [citado 10 Mar 2017]. En: SciELO en Perspectiva [Internet].

· Caló LN. Métricas de impacto y evaluación de la ciencia. Rev Peru Med Exp Salud Publica. 2022;39:236-40.

Acta Gastroenterol Latinoam 2022;52(4):416-417

417
Rodolfo Pizarro

Enfermedad coronaria y dolor torácico crónico: abordaje actual según las últimas guías

Hospital Italiano de Buenos Aires, Servicio de Cardiología. Ciudad Autónoma de Buenos Aires, Argentina.

Acta Gastroenterol Latinoam 2022;52(4):418-423

Recibido: 14/10/2022 / Aceptado: 08/12/2022 / Publicado online: 21/12/2022 / https://doi.org/10.52787/agl.v52i4.262

Resumen

La enfermedad arterial coronaria suele manifestarse con características típicas, producto de la oclusión parcial o total de la circulación en las arterias epicárdicas. Sin embargo, en un grupo específico de pacientes puede presentarse con síntomas no habituales. Es por esto que, al evaluar a un paciente con dolor torácico, es fundamental realizar una anamnesis exhaustiva para detallar las características de la presentación clínica así como una completa evaluación de los factores de riesgo y de los antecedentes cardiovasculares previos. De esta manera podrá evaluarse el pretest y la probabilidad clínica del paciente de presentar enfermedad arterial coronaria. Así mismo, con la ayuda de estudios complementarios, se llevará a cabo una evaluación que permita guiar futuras conductas diagnósticas y/o terapéuticas de acuerdo con el caso específico.

Palabras claves. Dolor torácico, enfermedad coronaria, síndrome coronario crónico.

Coronary Artery Disease and Chronic Chest Pain: Current Approach Accor -ding to the Latest Guidelines

Summary

Coronary artery disease usually manifests with typical characteristics, resulting from partial or total occlusion of circulation in the epicardial arteries. However in a specific group of patients, may present with unusual symptoms. For this reason, when evaluating a patient with chest pain, it is essential to carry out an exhaustive anamnesis to detail the characteristics of the clinical presentation as well as a complete evaluation of risk factors and previous cardiovascular history. In this way, it will be possible to evaluate the pre-test and the clinical probability of the patient of developing coronary artery disease. In addition, with the help of complementary studies, an evaluation can be carried out to guide future diagnostic and/or therapeutic behaviors according to the specific case.

Keywords. Chest pain, coronary artery disease, chronic coronary syndrome.

Abreviaturas

EAC: Enfermedad arterial coronaria.

SCA: Síndrome coronario agudo.

SCC: Síndrome coronario crónico.

Correspondencia: Leandro Barbagelata Correo electrónico: leandro.barbagelata@hiba.org.ar

ECG: Electrocardiograma.

418 Acta
♦REVISIÓN
Gastroenterol Latinoam 2022;52(4):418-423

ETT: Ecocardiograma transtorácico.

CCG: Cinecoronariografía.

ATCC: Angiografía por tomografía computada coronaria.

FFR: Sigla en inglés de reserva fraccional de flujo.

Introducción

La enfermedad arterial coronaria (EAC) es un proceso patológico caracterizado por la acumulación de placa aterosclerótica en las arterias epicárdicas, que puede ocasionar una obstrucción parcial o total del flujo sanguíneo. Este proceso puede ser modificado realizando cambios en el estilo de vida, mediante fármacos y/o tratamientos invasivos, con el objetivo de estabilizar y, si es posible, producir una regresión de la enfermedad. Dicha patología puede presentar períodos largos y estables, pero también puede desestabilizarse de forma repentina, lo que sucede en la mayor parte de los casos a raíz de un evento aterotrombótico agudo causado por la erosión o ruptura de una placa vulnerable. Sin embargo, la EAC es un proceso crónico y progresivo que puede presentar períodos asintomáticos. Asimismo, la naturaleza dinámica de esta enfermedad genera distintas formas de presentación clínica, que pueden agruparse y ser categorizadas como síndromes coronarios agudos (SCA) o crónicos (SCC); en estos últimos, el escenario clínico más frecuente es el del paciente con síntomas anginosos estables y/o disnea.1

Abordaje del paciente con dolor torácico crónico y sospecha de EAC

El enfoque del manejo diagnóstico incluye cuatro pasos:

1. Caracterización de signos y síntomas

Es fundamental conocer las características del dolor torácico directamente de parte del paciente para una interpretación óptima. La historia clínica y el interrogatorio son las bases más importantes para considerar la presencia o ausencia de isquemia miocárdica, pero el origen de los síntomas cardíacos es complejo y su expresión es variable.

En cuanto a la presentación clínica, la angina de pecho crónica suele ser percibida como una molestia torácica retroesternal opresiva, que aumenta gradualmente en intensidad a lo largo de varios minutos y, por lo general, es precipitada por estrés físico o emocional. Los síntomas asociados, como dificultad para respirar, náuseas, presíncope o síncope son más frecuentes en los pacientes

con diabetes, las mujeres y los ancianos. Una evaluación detallada de los factores de riesgo cardiovascular, el historial médico, los antecedentes familiares y los sociales deben complementar la evaluación de los síntomas de presentación.2, 3

En la Tabla 1 se resumen los principales signos y síntomas que pueden identificarse en la evaluación de pacientes con dolor torácico según la Sociedad Argentina de Cardiología. En la Figura 1 se muestra el índice de sospecha de etiología coronaria en pacientes con dolor torácico. 4, 5

2. Determinar las comorbilidades y otras posibles causas de dolor

Antes de considerar cualquier estudio, deben evaluarse el estado general de salud, las comorbilidades y la calidad de vida del paciente. Si es poco probable que la revascularización sea una opción, las pruebas adicionales pueden reducirse al mínimo y debe instituirse el tratamiento adecuado, que puede incluir una prueba con medicación antianginosa, incluso si no se ha confirmado el diagnóstico de EAC. Las imágenes funcionales no invasivas para detectar isquemia pueden ser una opción si es necesario verificar el diagnóstico. Si el dolor es claramente no anginoso, pueden estar indicadas otras pruebas diagnósticas para identificar alteraciones gastrointestinales, pulmonares o musculoesqueléticas que justifiquen el dolor.1

3. Estudios de primera línea

Las pruebas básicas en pacientes con sospecha de EAC y dolor torácico crónico incluyen un electrocardiograma (ECG) y ecocardiograma en reposo. Asimismo, los análisis de laboratorio son útiles para identificar factores de riesgo cardiovasculares y condiciones asociadas. La glucosa plasmática en ayunas y la hemoglobina glicosilada (HbA1c) deben medirse en todos los pacientes con sospecha de EAC. El conocimiento del metabolismo de la glucosa es importante debido a la asociación bien conocida entre la diabetes y los resultados cardiovasculares adversos, por lo cual esta población debe ser evaluada y tratada de acuerdo con guías específicas.6, 7 Adicionalmente, debe valorarse el perfil de lípidos en cualquier paciente con sospecha de EAC, para establecer el riesgo del paciente y determinar la necesidad de tratamiento.8 Otros parámetros que es imperativo evaluar son la tasa de filtrado glomerular, la urea y la creatinina, ya que es sabido que la enfermedad renal crónica aumenta la probabilidad de presentar EAC y repercute de forma negativa en su pronóstico.9

Acta Gastroenterol Latinoam 2022;52(4):418-423

419
Enfermedad coronaria y dolor torácico crónico: abordaje actual según las últimas guías Leandro Barbagelata

Enfermedad coronaria y dolor torácico crónico: abordaje actual según las últimas guías

Tabla 1. Los principales signos y síntomas en pacientes con dolor torácico

Mayor probabilidad de Indiferente o variable Menor probabilidad origen coronario de origen coronario

Localización Retroesternal, central, en Epigastrio, dorso, precordial. Infraumbilical, maxilar superior, zona lateral todo el tórax, cuello, mandíbula, del tórax, en la distribución de un dermatoma. miembros superiores.

Características Opresivo, pesadez, Sin localización definida. Puntual, agudo, lancinante, desgarrante, sordo. constricción, ardor. Inicio súbito con intensidad máxima desde el comienzo.

Extensión en Zona dolorosa del tamaño de Puntiforme, localizado con el dedo. superficie la palma de la mano o mayor.

Duración 2 a 20 minutos. > 20 minutos Segundos, fugaz, instantáneo. Muchas horas, más de un día.

Factores Esfuerzo físico, comida, frío. Emoción, estrés mental. Inspiración, tos, movimientos del segmento corporal precipitantes decúbito dorsal, inicio nocturno. afectado, palpación, deglución, ingesta alimenticia o alcohólica, ayuno.

Factores que Reposo, nitritos. Eructo, maniobra de Valsalva. Inspiración, tos, movimientos del segmento lo alivian corporal afectado, palpación, deglución, ingesta, vómitos, antiácidos, analgésicos comunes.

Síntomas Sudoración fría, síncope. Náuseas, vómitos, disnea, Mareos, tos, disfagia, pirosis, regurgitación, sialorrea. asociados desasosiego, palpitaciones. Vómitos hemáticos, biliosos o porráceos. Diarrea, melena, enterorragia, fiebre, coluria, ictericia. Figura

420
Acta Gastroenterol Latinoam 2022;52(4):418-423
Leandro Barbagelata
Índice de sospecha de etiología coronaria en pacientes con dolor
Dolor torácico crónico + Riesgo clínico Riesgo intermedio / alto < 65 años Riesgo bajo ECG y ETT normales No realizar otros estudios ECG + test anatómico o funcional (ATTC coronaria o cámara gamma/ecoestrés) Riesgo intermedio / alto > 65 años Sospecha alta de EAC Sospecha dudosa de EAC CCG Test funcional ECG: Electrocardiograma; ETT: Ecocardiograma transtorácico; ATTC: Angiografía por tomografía computada coronaria; EAC: Enfermedad arterial coronaria; CCG: Cinecoronariografía.
1.
torácico

El ecocardiograma transtorácico (ETT) proporciona información valiosa sobre la anatomía y la función cardíacas, las cuales suelen estar preservadas en los SCC. Valores de fracción de eyección disminuida y/o alteraciones regionales de la contracción pueden aumentar la sospecha de daño miocárdico isquémico. De la misma manera, el ETT permite evaluar causas alternativas de dolor precordial y ayuda al diagnóstico de enfermedades cardíacas como valvulopatías, insuficiencia cardíaca congestiva y la mayoría de las miocardiopatías. 10, 11

4. Evaluación pretest y selección apropiada de estudios

En pacientes en los cuales el diagnóstico de EAC es incierto, establecer un diagnóstico por medio de imágenes funcionales no invasivas para la detección de isquemia es razonable.1

En aquellos pacientes en los que la probabilidad clínica de presentar EAC es elevada, que tienen síntomas refractarios al tratamiento médico o que manifiestan dolor torácico atípico a una carga baja de ejercicio, podría realizarse directamente una cinecoronariografía (CCG) invasiva, sin realizar más pruebas diagnósticas. Posteriormente, la indicación de revascularización deberá ser guiada de acuerdo con la magnitud y el compromiso hemodinámico de las lesiones coronarias identificadas. 12, 13

En el caso de que la EAC no pueda ser excluida por la presentación clínica, se recomienda realizar estudios no invasivos, a fin de establecer el diagnóstico y valorar el riesgo de eventos. Las guías actuales recomiendan el uso de imágenes funcionales no invasivas para la detección de isquemia (cámara gamma / ecoestrés) o de imágenes anatómicas como la angiografía por tomografía computada coronaria (ATCC) como prueba inicial para el diagnóstico de EAC en pacientes seleccionados.1

Las pruebas para el diagnóstico de EAC obstructiva están diseñadas para detectar isquemia miocárdica a través de cambios en el ECG, cambios en el movimiento de la pared por resonancia magnética nuclear cardíaca de estrés o ecocardiograma de estrés, o cambios de perfusión por tomografía computarizada por emisión de fotón único (SPECT). Estas se asocian con una alta precisión para la detección de estenosis coronarias significativas, en comparación con la prueba invasiva de medición de reserva fraccional de flujo (FFR).14

Como se mencionó anteriormente, la evaluación anatómica no invasiva mediante ATCC proporciona una alta precisión para la detección de estenosis coronarias obstructivas.

Sin embargo, las estenosis estimadas en 50% - 90% por inspección visual no siempre son funcionalmente significativas; es decir, no siempre inducen isquemia miocárdica. Por lo tanto, se recomienda realizar estudios funcionales invasivos o no invasivos para evaluar los hallazgos detectados en pruebas anatómicas, a menos que se detecte una estenosis de muy alto grado (> 90% de diámetro de estenosis) mediante una angiografía invasiva. 12, 13 Asimismo, la ATCC es el estudio indicado en pacientes con un riesgo clínico bajo de EAC, sin diagnóstico previo de EAC y características asociadas con una probabilidad alta de buena calidad de imagen. Este método detecta la aterosclerosis coronaria subclínica, pero también puede descartar con precisión una EAC anatómica y funcionalmente significativa. 14

En cuanto al ECG de esfuerzo, tiene un rendimiento diagnóstico inferior en comparación con las pruebas de diagnóstico por imágenes previamente mencionadas y un poder limitado para confirmar o descartar EAC obstructiva. 13

Finalmente, la CCG es necesaria en pacientes con sospecha de EAC y pruebas no invasivas no concluyentes. Este estudio también puede estar indicado si la evaluación no invasiva sugiere un riesgo alto de eventos para determinadas opciones de revascularización. 15 En pacientes con probabilidad clínica alta de EAC y síntomas crónicos que no responden a la terapia médica o con angina típica en un nivel bajo de ejercicio, la CCG temprana sin realizar una estratificación de riesgo no invasiva previa puede ser razonable para identificar lesiones potencialmente susceptibles de revascularización.

De igual modo, si está disponible, la evaluación funcional invasiva mediante FFR debe complementar la CCG, en especial en pacientes con estenosis coronarias del 50% - 90% o con enfermedades de múltiples vasos, debido a las frecuentes discrepancias entre la severidad angiográfica y hemodinámica de las estenosis coronarias. 16-18 En la Figura 2 se resumen los principales métodos diagnósticos sobre la base del riesgo clínico de EAC de pacientes con dolor torácico crónico.

Acta Gastroenterol Latinoam 2022;52(4):418-423

421
Enfermedad coronaria y dolor torácico crónico: abordaje actual según las últimas guías Leandro Barbagelata

Figura 2. Métodos diagnósticos basados en el riesgo clínico de EAC de pacientes con dolor torácico crónico

- Central - Presión

- Opresión - Pesadez

- Relacionado con el esfuerzo

- Retroesternal

- Lado izquierdo - Persistente - Punzante - Lado derecho - Desgarrante - Urente

- Agudo - Fugaz - Cambiante - Pleurí co - Posicional

Probabilidad de isquemia

Adaptado de AHA/ACC Clinical Practice Guideline, 2021.

Conclusión

La EAC tiene múltiples formas de presentación clínica y cada una de ellas reviste un riesgo particular.

Los pacientes con dolor torácico crónico representan un desafío diagnóstico, dada la amplia gama de posibles patologías (cardiovasculares y no cardiovasculares). Es por este motivo que resulta imprescindible evaluar las características de los síntomas referidos y analizar las comorbilidades y el riesgo pretest para EAC de forma individualizada. A partir de esto, los estudios diagnósticos de primera línea (como el ECG y el ETT) permiten realizar una aproximación diagnóstica, luego de la cual y sobre la base del riesgo clínico, deberá ser evaluado el requerimiento de estudios de mayor complejidad para poder guiar las estrategias terapéuticas correspondientes.

Propiedad intelectual. Los autores declaran que los datos, las figuras y la tabla presentes en el manuscrito son originales y se realizaron en sus instituciones pertenecientes.

Financiamiento. Los autores declaran que no hubo fuentes de financiación externas.

Acta Gastroenterol Latinoam 2022;52(4):418-423

Conflicto de interés. Los autores declaran no tener conflictos de interés en relación con este artículo.

Aviso de derechos de autor © 2022 Acta Gastroenterológica Latinoamericana. Este es un artículo de acceso abierto publicado bajo los términos de la Licencia Creative Commons Attribution (CC BY-NC-SA 4.0), la cual permite el uso, la distribución y la reproducción de forma no comercial, siempre que se cite al autor y la fuente original

Cite este artículo como: Barbagelata L. Enfermedad coronaria y dolor torácico crónico: abordaje actual según las últimas guías. Acta Gastroenterol Latinoam. 2022;52(4):418423. https://doi.org/10.52787/agl.v52i4.262

Referencias

1. Knuuti J, Wijns W, Saraste A, et al. 2019 ESC Guidelines for the diagnosis and management of chronic coronary syndromes. Eur Heart J. 202014;41(3):407-77. doi: 10.1093/eurheartj/ehz425

422
Enfermedad coronaria y dolor torácico crónico: abordaje actual según las últimas guías Leandro Barbagelata Alta Baja

2. Hsia RY, Hale Z, Tabas JA. A national study of the prevalence of lifethreatening diagnoses in patients with chest pain. JAMA Intern Med. 2016;176:1029-32.

3. Fanaroff AC, Rymer JA, Goldstein SA, et al. Does this patient with chest pain have acute coronary syndrome?: the rational clinical examination systematicreview. JAMA. 2015;314: 1955-65.

4. Duronto E, Navarro Estrada JL, Benger J, et al. Consenso para el Manejo de Pacientes con Dolor Precordial. Rev Argent Cardiol. 2016;84:378-401. http://dx.doi.org/10.7775/rac.es.v84. i4.9074

5. Gulati M, Levy PD, Mukherjee D, et al. 2021 AHA/ACC/ASE/ CHEST/SAEM/SCCT/SCMR Guideline for the Evaluation and Diagnosis of Chest Pain: A Report of the American College of Cardiology/American Heart Association Joint Committee on Clinical Practice Guidelines. Circulation. 202130;144(22): e368-e454. doi: 10.1161/CIR.0000000000001029. Epub 2021 28 de octubre.

6. 2019 ESC/EASD Guidelines on diabetes, pre-diabetes, and cardiovascular diseases. Eur Hear J. 2019: en prensa.

7. Piepoli MF, Hoes AW, Agewall S, et al. 2016 European Guidelines on cardiovascular disease prevention in clinical practice: The Sixth Joint Task Force of the European Society of Cardiology and Other Societies on Cardiovascular Disease Prevention in Clinical Practice (constituted by representatives of 10 societies and by invited experts) Developed with the special contribution of the European Association for Cardiovascular Prevention & Rehabilitation (EACPR). Eur Heart J. 2016;37:2315-2381.

8. Catapano AL, Graham I, De Backer G, et al. 2016 ESC/EAS Guidelines for the management of dyslipidaemias. Eur Heart J. 2016;37:2999-3058.

9. Di Angelantonio E, Chowdhury R, Sarwar N, et al. Chronic kidney disease and risk of major cardiovascular disease and nonvascular mortality: prospective population based cohort study. BMJ. 2010;341:c4986.

10. Daly C, Norrie J, Murdoch DL, Ford I, Dargie HJ, Fox K; TIBET (Total Ischaemic Burden European Trial) study group. The value of routine non-invasive tests to predict clinical outcome in stable angina. Eur Heart J. 2003;24:532-540.

11. Steeds RP, Garbi M, Cardim N, et al. Scientific Documents Committee. EACVI appropriateness criteria for the use of transthoracic echocardiography in adults: a report of literature and current practice review. Eur Heart J Cardiovasc Imaging. 2017;18:1191-1204.

12. De Bruyne B, Pijls NH, Kalesan B, et al. FAME 2 Trial Investigators. Fractional flow reserve-guided PCI versus medical therapy in stable coronary disease. N Engl J Med. 2012;367:9911001.

13. Tonino PA, De Bruyne B, Pijls NH, et al. FAME Study Investigators. Fractional flow reserve versus angiography for guiding percutaneous coronary intervention. N Engl J Med. 2009;360:213-224.

14. Knuuti J, Ballo H, Juarez-Orozco LE, et al. The performance of non-invasive tests to rule-in and rule-out significant coronary artery stenosis in patients with stable angina: a meta-analysis focused on post-test disease probability. Eur Heart J. 2018;39:3322-3330.

15. Gueret P, Deux JF, Bonello L, et al. Diagnostic performance of computed tomography coronary angiography (from the prospective national multicenter multivendor EVASCAN study). Am J Cardiol. 2013;111:471-478.

16. Neumann FJ, Sousa-Uva M, Ahlsson A, et al. 2018 ESC/ EACTS Guidelines on myocardial revascularization. Eur Heart J. 2019;40:87165.

17. Toth G, Hamilos M, Pyxaras S, et al. Evolving concepts of angiogram: fractional flow reserve discordances in 4000 coronary stenoses. Eur Heart J. 2014;35:2831-2838.

18. Jeremias A, Maehara A, Genereux P, et al. Multicenter core laboratory comparison of the instantaneous wave-free ratio and resting Pd/Pa with fractional flow reserve: the RESOLVE study. J Am Coll Cardiol. 2014;63:1253-1261.

Acta Gastroenterol Latinoam 2022;52(4):418-423

423
Enfermedad coronaria y dolor torácico crónico: abordaje actual según las últimas guías Leandro Barbagelata

Abordaje del paciente con dolor torácico no cardiogénico de origen esofágico

María Mercedes Manresa1 · Paula Cecilia Carboné2 · Guillermina Diez3

1 Sección Neurogastroenterología, Instituto de Gastroenterología Salim, Salta, Argentina.

2 Sección Neurogastroenterología, Instituto de Diagnóstico Médico Oroño, Rosario, Argentina.

3 Servicio de Endoscopía, Clínica Pasteur, Neuquén, Argentina.

Acta Gastroenterol Latinoam 2022;52(4):424-438

Recibido: 18/11/2022 / Aceptado: 13/12/2022 / Publicado online: 21/12/2022 / https://doi.org/10.52787/agl.v52i4.276

Resumen

El dolor torácico no cardiogénico se define como la presencia de dolor retroesternal recurrente en el que la etiología cardiovascular ha sido descartada de manera objetiva. Se estima que su prevalencia global en la comunidad es del 13%. Nuestro enfoque en esta revisión se centrará en las causas esofágicas de dolor retroesternal, las cuales ocupan el primer lugar dentro de las causas no cardíacas. Las herramientas diagnósticas disponibles en la actualidad para evaluar los trastornos esofágicos relacionados con dolor torácico no cardiogénico incluyen: ensayos terapéuticos con inhibidores de bomba de protones, videoendoscopía digestiva alta, monitoreo ambulatorio de reflujo y manometría esofágica de alta resolución. El tratamiento debe estar dirigido al mecanismo fisiopatológico subyacente responsable de los síntomas. Las opciones terapéuticas incluyen fármacos (inhibidores de

bomba de protones y neuromoduladores), tratamiento endoscópico, cirugía y terapias psicológicas.

Palabras claves. Dolor torácico no cardiogénico, enfermedad por reflujo gastroesofágico, trastornos funcionales esofágicos, dolor torácico funcional, hipersensibilidad al reflujo, trastornos motores esofágicos.

Approach to the Patient with Non-cardiogenic Chest Pain of Esophageal Origin

Summary

Non-cardiac chest pain is defined as the presence of recurrent retrosternal pain in which cardiovascular etiology has been objectively ruled out. Its overall prevalence in the community is estimated to be 13%. In this review we will focus on esophageal causes of chest pain, which rank first among non-cardiac causes. Currently available diagnostic tools to evaluate chest pain related to esophageal disorders include: therapeutic trials with proton pump inhibitors, upper gastrointestinal videoendoscopy, ambulatory reflux monitoring and high-resolution esophageal manometry. Treatment should be directed at the underlying pathophysiological mechanism responsible for the symptoms. Therapeutic options include drugs (proton pump inhibitors and neuromodulators), endoscopic treatment, surgery, and psychological therapies.

Correspondencia: María Mercedes Manresa

Correo electrónico: dramercedesmanresa@gmail.com

Keywords. Non-cardiac chest pain, gastroesophageal reflux disease, functional esophageal disorders, functional chest pain, reflux hypersensitivity, esophageal motor disorders.

424 Acta
♦REVISIÓN
Gastroenterol Latinoam 2022;52(4):424-438

Abordaje del paciente con dolor torácico no cardiogénico de origen esofágico María Mercedes Manresa y col.

Abreviaturas

DTNC: Dolor torácico no cardiogénico.

DTE: Dolor torácico de origen esofágico.

ERGE: Enfermedad por reflujo gastroesofágico.

DTF: Dolor torácico funcional.

HR: Hipersensibilidad al reflujo.

TME: Trastornos motores esofágicos.

EED: Espasmo esofágico distal.

EJGOO: Sigla en inglés de obstrucción del flujo de salida de la unión esófago gástrica.

EEo: Esofagitis eosinofílica.

SECs: Sigla en inglés de contracciones esofágicas sostenidas.

HRM: Sigla en inglés de manometría de alta resolución.

IBP: Inhibidores de bomba de protones.

VEDA: Video endoscopía digestiva alta.

TEA: Tiempo de exposición ácida.

IS: Índice sintomático.

SAP: Sigla en inglés de probabilidad de asociación sintomática.

MII-pH: Sigla en inglés de impedancia intraluminal multicanal con pH-metría.

ECA: Ensayo controlado aleatorizado.

POEM: Sigla en inglés de miotomía peroral endoscópica.

ATC: Antidepresivos tricíclicos.

ISRS: Inhibidores selectivos de la recaptación de serotonina.

TCC: Terapia cognitivo conductual.

Introducción

El dolor torácico no cardiogénico (DTNC) se define como la presencia de dolor retroesternal recurrente en el que la etiología cardiovascular ha sido descartada de manera objetiva por un cardiólogo.1 Antes de considerar su abordaje diagnóstico y terapéutico, debemos asegurarnos de que se hayan realizado los exámenes cardiovasculares adecuados según los factores de riesgo de cada paciente (ver la Figura 1 de la revisión sobre enfermedad coronaria y dolor torácico crónico). Una vez descartada la etiología cardiovascular es fundamental que el paciente continúe con una evaluación exhaustiva con el fin de realizar un diagnóstico que permita indicar un tratamiento específico para el control del síntoma. Esto evita que el paciente continúe buscando ayuda en guardias de emergencias y consultando a múltiples especialistas por episodios recurrentes de dolor torácico, lo que provoca el consecuente deterioro de su calidad de vida.

El DTNC puede ser desencadenado por causas gastrointestinales o que no están relacionadas con el tracto digestivo, como las musculoesqueléticas, pleuropulmonares, reumatológicas, psicológicas, entre otras (Tabla 1).2, 3 Dentro de las causas no cardíacas de dolor retroesternal, las esofágicas ocupan el primer lugar (80,5%)4 seguidas por las musculoesqueléticas (25,7%).5

El dolor torácico de origen esofágico (DTE) puede ser de carácter opresivo o quemante; con irradiación a la espalda, al cuello, los brazos y las mandíbulas. Su manifestación clínica puede ser equivalente al dolor producido por isquemia miocárdica, por lo que es necesario realizar exámenes complementarios para poder diferenciarlos.2

Nuestro enfoque en esta revisión se centrará en las causas esofágicas del DTNC.

Tabla 1. Causas de dolor torácico no cardiogénico

Gastrointestinales

Esofágicas (ERGE, trastornos funcionales esofágicos, trastornos motores esofágicos) Hernia de hiato Enfermedad ulcerosa péptica Colecistitis Pancreatitis Masas intraabdominales benignas o malignas

Musculoesqueléticas Síndrome de Tietze (costocondritis) Fractura costal

Pulmonares Neumonía Bronquitis Embolia pulmonar Cáncer de pulmón Sarcoidosis Neumotórax Neumomediastino Derrame pleural Masas intratorácicas benignas o malignas

Reumatológicas

Artritis reumatoidea Fibromialgia Psicológicas Trastorno de pánico Síndrome de hiperventilación

Misceláneas

Hipertensión pulmonar Herpes zoster Dolor inducido por drogas (p. ej. 5 fluorouracilo) Crisis de células falciformes

ERGE: enfermedad por reflujo gastroesofágico.

Acta Gastroenterol Latinoam 2022;52(4):424-438

425

Epidemiología

El DTNC es un problema clínico frecuente. Aunque no se traduce en un aumento de la mortalidad, se asocia a una mayor utilización de los servicios médicos y a una peor calidad de vida.6 Se estima que su prevalencia global en la comunidad es del 13% (IC 95%: 9-16%), sin diferencia entre mujeres y hombres.7 En Argentina, un estudio poblacional encontró una prevalencia de DTNC anual de 23,5% y semanal de 5,2%8 que disminuye con el incremento en la edad.9

Las personas con DTNC tienen mayores puntuaciones de ansiedad (5,5 vs. 4,1; p < 0,001) y de depresión (4,4 vs. 3,8; p = 0,007) en comparación con los controles sanos.5 La prevalencia de depresión y de ansiedad, moderadas a severas, en los pacientes con DTNC es de 34% y 30% respectivamente. Los pacientes con estos trastornos presentan episodios de dolor más severos y más frecuentes que los pacientes sin comorbilidades psicológicas.10

Etiología

La causa más frecuente de DTNC de origen esofágico es la enfermedad por reflujo gastroesofágico (ERGE).2, 11-12 Le siguen en frecuencia los trastornos funcionales esofágicos, como el dolor torácico funcional (DTF) o la hipersensibilidad al reflujo (HR) definidos mediante los criterios de ROMA IV.13 A diferencia de lo que se piensa habitualmente, los trastornos motores esofágicos (TME) representan la causa del dolor torácico en una minoría de pacientes.2 Se han relacionado con DTNC los TME espásticos (acalasia tipo III, espasmo esofágico distal -EED- y esófago hipercontráctil) y la obstrucción del flujo de salida de la unión esófago gástrica (EJGOO). Fass y col. estimaron que del 50 al 60% de los pacientes con DTNC tienen ERGE, del 32 al 35% DTF y del 15 al 18% TME.14 Es importante tener en cuenta que las causas mencionadas de DTE pueden coexistir.

La esofagitis eosinofílica (EEo) se manifiesta con síntomas crónicos de disfunción esofágica que pueden incluir al dolor retroesternal.15 En un estudio retrospectivo realizado en los Estados Unidos encontraron que el 12% (IC 95%: 7-17%) de 171 pacientes con DTNC tenían ≥ 15 eosinófilos por campo de gran aumento en las biopsias esofágicas.16

Las neoplasias esofágicas rara vez se presentan con dolor torácico sin otro síntoma acompañante. En un estudio de pacientes con carcinoma de esófago, menos del 1% tenía dolor torácico como único síntoma.17

Fisiopatología

La inervación sensorial del esófago está dada por fibras vagales y nervios espinales. Los últimos hacen escala

en el asta dorsal de la médula espinal donde convergen con las fibras provenientes del corazón. Esto explica que el dolor de origen esofágico sea indistinguible clínicamente del dolor por isquemia miocárdica.18

Se han propuesto varias hipótesis para explicar la fisiopatología del DTE, incluidas la estimulación de quimiorreceptores locales por reflujo ácido y no ácido, y la activación de mecanorreceptores por contracciones de gran amplitud o por distensión.19

Inicialmente se asumió que el espasmo esofágico primario o secundario a reflujo ácido era la causa del dolor en un grupo de pacientes. Sin embargo, se observó que la contracción del músculo circular, registrada por manometría esofágica, rara vez se correlaciona con episodios espontáneos de dolor torácico. 20 A su vez, no se ha demostrado que la resolución de las alteraciones manométricas se correlacione con una mejoría del dolor. 21 Esto ha llevado a la hipótesis de que alteraciones en la señalización neuronal aferente podrían ser la base de la fisiopatología del dolor torácico en pacientes con TME. 22

Los pacientes con DTNC tienen umbrales más bajos de dolor visceral que los controles sanos, evaluados mediante distensión esofágica gradual con balón.23-25 Rao y col. utilizaron planimetría por impedancia para investigar la reactividad muscular y las propiedades viscoelásticas del esófago en pacientes con dolor torácico de origen desconocido En comparación con los controles sanos, encontraron que los sujetos con dolor torácico presentaron una menor distensibilidad esofágica, umbrales nociceptivos más bajos y aumento de la frecuencia, la amplitud y la duración de las contracciones esofágicas reactivas en respuesta a la insuflación gradual de un balón.26

El grupo de Mittal utilizó la medición del espesor del músculo liso esofágico mediante ultrasonido intraluminal de alta frecuencia en combinación con manometría esofágica, como un marcador de la contracción de la capa muscular longitudinal. Encontró asociación temporal entre episodios de dolor torácico y contracciones esofágicas sostenidas (SECs) de dicha capa muscular.27 Posteriormente, el mismo grupo evidenció asociación temporal entre las SECs y eventos de pirosis. La duración de las SECs asociadas con los eventos de pirosis (44,9 +- 29,6 s) fue significativamente menor que la duración de las SECs (68,0 +- 38,9 s) observadas durante los episodios de dolor torácico (p = 0,02).28 Esta diferencia de duración podría reflejar el intervalo de tiempo necesario para la activación de mecanorreceptores esofágicos o para la inducción de isquemia muscular, dos mecanismos que pueden desempeñar un papel en la

426 Acta
Gastroenterol Latinoam 2022;52(4):424-438
Abordaje del paciente con dolor torácico no cardiogénico de origen esofágico María Mercedes Manresa y col.

fisiopatología del DTE.19,29 Es posible que la hiperreactividad esofágica detectada a través de planimetría por impedancia26 y las SECs detectadas por ultrasonografía intraluminal representen una actividad motora esofágica similar.26-27 Por el contrario, McIntosh y Paterson no encontraron diferencias significativas en la magnitud del acortamiento esofágico medido por manometría de alta resolución (HRM) entre pacientes con DTNC y controles sanos. Tampoco pudieron demostrar una correlación entre el inicio de los episodios de dolor torácico y el acortamiento esofágico.30

Los eosinófilos liberan múltiples gránulos tóxicos, como la proteína básica mayor, que producen inflamación crónica, dismotilidad esofágica y fibrosis. No está claro por qué algunos pacientes con EEo tienen disfagia mientras que otros presentan dolor torácico. Se postula que puede haber una degranulación variable o selectiva de sustancias que inducen mayor irritación de terminales nerviosas y contracción del músculo liso, lo que provoca dolor torácico, o mayor fibrosis y remodelación, lo que genera disfagia.16

Los mecanismos fisiopatológicos del DTF son todavía más complejos e involucran una combinación de hipersensibilidad esofágica, sensibilización central y periférica, procesamiento central alterado de estímulos esofágicos, alteraciones en las propiedades mecano-físicas del esófago, disregulación autonómica y comorbilidades psicológicas.31

Diagnóstico

El abordaje diagnóstico práctico del paciente con DTNC debe estar dirigido a la identificación del mecanismo causal subyacente. En virtud de la amplia diferencia de morbimortalidad de la enfermedad arterial coronaria respecto de las causas esofágicas de dolor torácico, sumado a que no es posible distinguir en base a la semiología del dolor la causa del mismo, se recomienda como enfoque diagnóstico inicial la evaluación cardiológica de todo paciente que presente dolor torácico por primera vez.32-34

Como se mencionó previamente, teniendo en cuenta que el origen esofágico representa la causa más probable de DTNC, resulta lógico que el abordaje diagnóstico siguiente esté destinado a identificar patologías esofágicas tales como ERGE, TME, EEo y trastornos esofágicos funcionales.

Las herramientas diagnósticas disponibles en la actualidad para evaluar trastornos esofágicos relacionados con DTNC incluyen: ensayos terapéuticos con inhibidores de bomba de protones (IBP), videoendoscopía digestiva alta (VEDA), monitoreo ambulatorio de reflujo y HRM.

Ensayo terapéutico con inhibidores de bomba de protones

El ensayo terapéutico con IBP está indicado como primer paso en el algoritmo diagnóstico del DTNC de probable origen esofágico a fin de detectar la ERGE como mecanismo causal previo a una evaluación diagnóstica formal.35 Existen dos abordajes.33 Por un lado, la terapia empírica con IBP durante 8 a 12 semanas, la cual es utilizada usualmente en el tratamiento convencional de la ERGE.36-37 Por el otro, puede realizarse una prueba terapéutica corta con IBP (en inglés PPI test) la cual se define como un curso corto (generalmente 7 a 14 días) de dosis altas de IBP.38 Las dosis diarias utilizadas para esta prueba terapéutica en los ensayos clínicos fueron: 40 a 80 mg de omeprazol, 30 a 90 mg de lansoprazol, 40 mg de rabeprazol y 40 mg de esomeprazol.12, 39-50 La prueba corta con IBP ha demostrado una sensibilidad del 69% al 95% y una especificidad del 67% al 86%, por lo cual se considera una intervención simple, altamente sensible y costo efectiva para diagnosticar DTNC relacionado con ERGE.33 Su beneficio terapéutico fue evaluado en diferentes metanálisis y revisiones sistemáticas.51-54 Cremonini y col. demostraron una tasa de riesgo de persistir con dolor después de la terapia con IBP de 0,54 (IC 95%: 0,41-0,71) con un número necesario a tratar (NNT) de 3 (IC 95%: 2-4). La sensibilidad, especificidad y OR para la prueba con IBP vs. pHmetría de 24 horas y VEDA fueron 80%, 74% y 13,83 (IC 95%: 5,48-34,91) respectivamente.51 Ghoneim y col. evaluaron la precisión diagnóstica de la prueba corta con IBP en DTNC y encontraron una sensibilidad y especificidad del 79% (IC 95%: 69-86%).54

La prueba terapéutica corta con IBP se recomienda como abordaje inicial en todo paciente con DTNC sin síntomas de alarma.

Video endoscopía digestiva alta

La VEDA se considera el primer procedimiento diagnóstico a realizar en pacientes con DTNC en presencia de síntomas o signos de alarma (disfagia, sangrado, vómitos, pérdida de peso o anemia) y es el abordaje a seguir en pacientes que no evidenciaron respuesta favorable a un ensayo terapéutico con IBP.55 Resulta el procedimiento diagnóstico de elección para descartar patología orgánica, evaluar los fenotipos de ERGE (erosiva, no erosiva, estenosis péptica y esófago de Barrett), identificar EEo y otras lesiones mucosas de origen infeccioso, medicamentoso o neoplásico.32, 56-58

En el DTNC, la VEDA tiene una tasa de rendimiento diagnóstico variable, con una baja sensibilidad. Los hallazgos mucosos relacionados con ERGE se pueden

Acta Gastroenterol Latinoam 2022;52(4):424-438

427
Abordaje del paciente con dolor torácico no cardiogénico de origen esofágico María Mercedes Manresa y col.

encontrar en un 10% a un 42% de los pacientes con DTNC.59-65 Dickman y col. evaluaron a un total de 3688 pacientes que se realizaron VEDA por DTNC y 32981 pacientes por síntomas típicos de ERGE. Se encontró una VEDA normal en el 44,1% de los pacientes con DTNC vs. el 38,8% de los pacientes con síntomas típicos de ERGE (p < 0,0001). En el grupo de DTNC el 28,6% tuvo hernia hiatal, el 19.4% ERGE erosiva, el 4,4% esófago de Barrett y el 3,6% estenosis péptica. Estos hallazgos fueron significativamente más frecuentes en el grupo con síntomas típicos de ERGE comparado con el grupo con DTNC (44,8%, 27,8% y 9,1% respectivamente; p < 0.0001).64

De acuerdo a la última guía de ERGE del Colegio Americano de Gastroenterología (ACG), se establece diagnóstico de ERGE en pacientes con esofagitis erosiva grado B, C y D de la clasificación de Los Ángeles y esófago de Barrett ≥ 3 cm. 66 La esofagitis erosiva grado A de Los Ángeles no es suficiente para un diagnóstico definitivo de ERGE ya que es un hallazgo inespecífico, con escaso acuerdo interobservador, que se encuentra en el 5% al 7,5% de los controles asintomáticos. 67

La toma de biopsias esofágicas debe llevarse a cabo ante la presencia de lesión orgánica, la sospecha endoscópica de esófago de Barrett y aún en ausencia de lesiones con el objetivo de descartar EEo. Se debe tener en cuenta que hasta el 7% de las endoscopías de pacientes con EEo muestran mucosa esofágica de aspecto normal.68 Para maximizar el rendimiento diagnóstico de la VEDA, ésta debe llevarse a cabo idealmente luego de la suspensión de los IBP durante 2 a 4 semanas, tanto para evaluar la presencia de esofagitis erosiva como para descartar EEo por biopsias 69-70

Monitoreo ambulatorio de reflujo

Los pacientes con DTNC que no muestran respuesta favorable a las pruebas con IBP, en quienes la VEDA no evidencia esofagitis erosiva grado B, C o D de Los Ángeles o esófago de Barrett ≥ 3 cm son candidatos para estudios de monitoreo ambulatorio de reflujo.55, 66 Esta conducta a seguir se basa en el hecho de que, como se mencionó anteriormente, la ERGE representa la causa más frecuente de DTE.

El monitoreo ambulatorio de reflujo permite determinar el tiempo de exposición ácida (TEA) esofágica y la correlación de síntomas con episodios de reflujo a través de parámetros como el índice sintomático (IS) y la probabilidad de asociación sintomática (SAP) los cuales resultan de utilidad para discriminar entre ERGE, HR o DTF.67

Se dispone de 3 métodos para el monitoreo ambulatorio de reflujo: pH-metría, impedancia intraluminal multicanal con pH-metría (MII-pH) y cápsula inalámbrica (Bravo). Los 2 primeros se realizan mediante un catéter transnasal y tienen 24 horas de duración. La cápsula inalámbrica se coloca por vía endoscópica y permite un monitoreo prolongado de pH de 48 a 96 horas.7 -72

La pH-metría de 24 horas ha evidenciado una sensibilidad del 79% al 96% y una especificidad del 85% al 100%.4, 73-80

Extender el monitoreo de pH a 2 días con un sistema inalámbrico aumenta la detección de ERGE en una proporción clínicamente significativa de pacientes con DTNC. Prakash y col. demostraron que un registro de 48 horas tuvo una ganancia del 10% para detectar un TEA anormal, un 7,3% de aumento en el número de pacientes que tuvieron dolor torácico durante el estudio y un 21% de incremento en el número de pacientes con SAP positivo.81 La presencia de la cápsula en el esófago provocó dolor torácico, odinofagia o disfagia en el 9% de los pacientes, aunque en menos del 2% los síntomas fueron lo suficientemente intensos como para indicar su extracción endoscópica.82

En referencia a la MII-pH pocos estudios demostraron el valor adicional de esta técnica sobre las otras modalidades en pacientes con DTNC. Como ventajas se pueden mencionar la posibilidad de discriminar los episodios de reflujo en base a sus características químicas (ácido, débilmente ácido y alcalino) y físicas (líquido, gaseoso o mixto), de evaluar la extensión proximal y el tiempo de aclaramiento del reflujo y de medir parámetros como la impedancia basal nocturna relacionado este último con la integridad de la mucosa esofágica. Un estudio con MII-pH determinó que los episodios de reflujo asociados a dolor torácico alcanzaron con mayor frecuencia el esófago proximal, presentaron un mayor tiempo de eliminación del volumen, fueron más frecuentemente ácidos con un nadir de pH más bajo en comparación con los episodios de reflujo que no fueron seguidos por dolor torácico. Un mayor volumen de reflujo ácido durante un período de tiempo más prolongado parece ser un factor determinante para percibir un episodio de reflujo como dolor torácico.83 Ribolsi y col. observaron que la presencia de gas en el episodio de reflujo y la mayor duración del mismo parecen estar asociadas al DTNC.84 Un estudio demostró que la impedancia basal nocturna en el esófago distal de pacientes con DTNC relacionado con ERGE fue significativamente menor que en los pacientes con DTNC no relacionado con ERGE.85

428 Acta
Gastroenterol Latinoam 2022;52(4):424-438
Abordaje del paciente con dolor torácico no cardiogénico de origen esofágico María Mercedes Manresa y col.

Manometría esofágica de alta resolución

La HRM de esófago representa en la actualidad el método de elección para el diagnóstico de TME, los cuales habitualmente se manifiestan con dolor torácico o disfagia. Se debe tener en cuenta que, en pacientes en quienes se realizará monitoreo ambulatorio de reflujo con catéter, se debe solicitar una manometría esofágica previa para guiar el correcto posicionamiento del mismo. 72

Estudios realizados con manometría esofágica convencional en pacientes con DTNC han reportado resultados variables, pero coincidieron en su mayoría con el hallazgo de una función esofágica normal en hasta el 70% de los casos. 86-88 Deckel y col. demostraron que el 70% de los pacientes con DTNC remitidos para realizar una manometría esofágica tuvo un estudio normal. La alteración motora más frecuente fue el esfínter esofágico inferior hipotensivo (61%). El esófago en cascanueces ( nutcracker ) y otros trastornos motores inespecíficos se observaron en sólo el 10% de los pacientes. 87 Un estudio realizado en Brasil reportó la presencia de una manometría anormal en el 63% de los pacientes con DTNC; el esfínter esofágico inferior hipotensivo y los trastornos motores inespecíficos fueron los más frecuentes. 89

El advenimiento de la HRM ha permitido un mejor entendimiento y un avance sustancial en la evaluación de la función motora del esófago. La última actualización de la clasificación de los TME, Chicago versión 4.0, incorporó una modificación de los criterios diagnósticos previos. Estableció la incorporación, a los criterios manométricos, de la presencia de síntomas compatibles (disfagia y dolor torácico) y de estudios complementarios de soporte (FLIP -catéter de imagen luminal funcional- y esofagograma minutado) para determinar un diagnóstico concluyente, clínicamente relevante de EED, esófago hipercontráctil y EJGOO. 90

En los últimos años es creciente el número de estudios sobre HRM en DTNC. Akinsiku y col. compararon pacientes con DTNC estudiados mediante HRM o manometría convencional. En el grupo de HRM hallaron motilidad esofágica normal en el 46,6% de los pacientes; la anormalidad motora más frecuente fue la motilidad esofágica inefectiva (25,3%). Otros TME encontrados incluyen: acalasia (7,33%), EJGOO (4%), contractilidad ausente (4%), esófago Jackhammer (3,33%) y EED (2,67%). 88 En un estudio retrospectivo se evaluaron 177 pacientes con DTNC mediante HRM. Se diagnosticaron TME en el 31% de los pacientes (motilidad

esofágica inefectiva en el 14,1%; esófago Jackhammer en el 6,8%; EED en el 5,1% y acalasia en el 2,3%) 91

Esofagograma con bario

El esofagograma con bario tiene una baja sensibilidad y especificidad en ERGE, por lo que no está recomendado para su diagnóstico.66, 92 Se debe considerar para una valoración estructural y funcional del esófago en los pacientes con dolor torácico que refieren disfagia o con alta sospecha de TME. En pacientes con acalasia esta prueba puede evidenciar dilatación esofágica y afinamiento distal en «pico de pájaro». Se puede sospechar EED ante la presencia de una imagen de esófago en forma de «sacacorchos».93-94

Como se mencionó previamente, la nueva Clasificación de Chicago versión 4.0 incorporó estudios complementarios de soporte a los criterios manométricos. Uno de ellos es el esofagograma con bario minutado, el cual se recomienda en pacientes con diagnóstico no concluyente de acalasia y para confirmar una EJGOO.90, 95

Pruebas sensoriales

La hipersensibilidad esofágica desempeña un papel importante en el DTNC.96 La demostración de umbrales bajos de percepción del dolor a estímulos químicos, mecánicos o eléctricos sugiere hipersensibilidad esofágica. Las pruebas de sensorialidad presentan baja sensibilidad, son invasivas, tienen disponibilidad limitada y actualmente sólo se utilizan con fines de investigación. Se han estudiado pruebas de estimulación química como la de Bernstein (perfusión esofágica de ácido clorhídrico),97-98 pruebas de estimulación mecánica (distensión esofágica con balón y planimetría por impedancia)99-100 así como pruebas de estimulación eléctrica, térmica y multimodal.101

Evaluación psiquiátrica y psicológica

Como se resaltó previamente, es frecuente la asociación del DTNC con trastornos psiquiátricos, principalmente el trastorno de ansiedad generalizada y el trastorno de pánico.102-103 Algunos estudios han demostrado que las comorbilidades psiquiátricas pueden coexistir con otras causas de DTNC como ERGE y TME.104-105 En virtud de ello, en pacientes con exámenes diagnósticos normales o con alta sospecha de un trastorno psiquiátrico de base se recomienda un abordaje multidisciplinario con la participación de especialistas en psiquiatría o psicología.

Criterios diagnósticos para trastornos funcionales esofágicos

Si el paciente no responde favorablemente a un ensayo terapéutico con IBP, presenta una VEDA con biop-

Acta Gastroenterol Latinoam 2022;52(4):424-438

429
Abordaje del paciente con dolor torácico no cardiogénico de origen esofágico María Mercedes Manresa y col.

sias esofágicas normales, se descarta ERGE y TME; es probable que presente un trastorno funcional esofágico. Los trastornos funcionales esofágicos que pueden manifestarse con dolor torácico son el DTF y la HR. Los índices de asociación sintomática (IS y SAP) evaluados durante los estudios de monitoreo ambulatorio de reflujo permitirán establecer el diagnóstico diferencial entre ambos 67

Criterios diagnósticos para dolor torácico funcional: 13

Los criterios mencionados a continuación tienen que estar presentes durante los últimos 3 meses, con el inicio del síntoma al menos 6 meses antes del diagnóstico, con una frecuencia de al menos una vez por semana. Deben incluir todos los siguientes:

• Dolor o molestia torácica retroesternal (luego de descartar las causas cardíacas).

• Ausencia de síntomas esofágicos asociados, como pirosis y disfagia.

• Ausencia de evidencia de que la ERGE o la EEo son la causa del síntoma.

• Ausencia de TME mayores.

Criterios diagnósticos para hipersensibilidad al reflujo:13

Los criterios mencionados a continuación tienen que estar presentes durante los últimos 3 meses, con el inicio del síntoma al menos 6 meses antes del diagnóstico, con una frecuencia de al menos dos veces por semana. Deben incluir todos los siguientes:

• Síntomas retroesternales que incluyan pirosis y dolor torácico.

• VEDA normal y ausencia de evidencia de que la EEo es la causa de los síntomas.

• Ausencia de TME mayores.

• Evidencia de que los síntomas están desencadenados por eventos de reflujo a pesar de una exposición ácida esofágica normal.

Tratamiento

El tratamiento de los pacientes con DTNC debe estar dirigido al mecanismo fisiopatológico subyacente responsable de los síntomas.106 Las opciones terapéuticas incluyen fármacos, tratamiento endoscópico, cirugía y terapias psicológicas.

DTNC relacionado con ERGE

Las modalidades terapéuticas para el DTNC relacio-

nado con ERGE incluyen fármacos, tratamiento endoscópico y funduplicatura quirúrgica.

En su última actualización sobre evaluación y manejo de ERGE, la Asociación Americana de Gastroenterología (AGA) propone tratar a los pacientes con pirosis, regurgitación o DTNC sin síntomas de alarma con dosis simples de IBP durante 4 a 8 semanas. Si la respuesta es inadecuada, la dosis puede aumentarse a dos veces al día o cambiarse por agentes supresores de ácido más eficaces, entre ellos, IBP con menor metabolización a través de la vía CYP2C19 (rabeprazol y esomeprazol), IBP con formulación de liberación prolongada (dexlansoprazol) y bloqueantes de ácido competitivos de potasio (P-CABs).107-108 Cuando se logra una respuesta adecuada y sostenida, el IBP debe reducirse a la dosis eficaz más baja.55

Los IBP que se evaluaron en ensayos controlados aleatorizados (ECA) con placebo son: omeprazol, rabeprazol, lansoprazol y esomeprazol.12,35,37,47,49,109-110,50 En una revisión sistemática y un metanálisis se observó que el tratamiento con IBP en pacientes con DTNC relacionado con ERGE fue más eficaz que el placebo (OR 11,7; IC 95%: 5,5-25,0)111 Kadir y col. evaluaron, en un ensayo aleatorizado, la eficacia y la seguridad de una terapia guiada según etiología vs. una terapia empírica en pacientes con DTNC. En el grupo de terapia guiada, los pacientes con ERGE fueron tratados con dexlansoprazol 30 mg/día y los pacientes con HR o DTF recibieron teofilina 250 mg/día. En el grupo empírico se administró dexlansoprazol 60 mg/día. El estudio demostró que la terapia guiada fue más eficaz que la terapia empírica en reducir las puntuaciones de dolor torácico global en la octava semana (p = 0.005).112

El tratamiento de la ERGE puede abordarse también mediante terapias endoscópicas (radiofrecuencia no ablativa y funduplicatura transoral sin incisión) y quirúrgicas (funduplicatura) aunque existe escasa evidencia sobre el papel de las mismas en los pacientes con DTNC. DTNC relacionado con trastornos motores esofágicos

En pacientes con dolor torácico como síntoma predominante, con sospecha de hipersensibilidad visceral superpuesta, la neuromodulación puede ser más eficaz que el tratamiento específico sobre la dismotilidad esofágica.

En pacientes con DTNC asociado a TME espásticos (acalasia tipo III, EED y esófago hipercontráctil) se han utilizado relajantes del músculo liso como nitratos, bloqueantes de canales de calcio (nifedipina y diltiazem) e inhibidores de la 5-fosfodiesterasa (sildenafil). La mayoría de los estudios realizados incluyen muestras pequeñas y

430 Acta
Gastroenterol Latinoam 2022;52(4):424-438
Abordaje del paciente con dolor torácico no cardiogénico de origen esofágico María Mercedes Manresa y col.

muy pocos son ECA bien diseñados. La eficacia de estos fármacos es limitada y se utilizan muy poco en la práctica clínica debido a sus efectos adversos (cefalea, mareos, hipotensión).21,113–115 Pueden indicarse en pacientes que no son candidatos a otros tratamientos o como terapia puente mientras se decide una terapia definitiva.1

Los TME espásticos pueden abordarse mediante tratamientos endoscópicos como inyección de toxina botulínica A en el del cuerpo esofágico, dilatación esofágica y miotomía peroral endoscópica (POEM) o quirúrgicos como miotomía de Heller. La evidencia actual sobre estas terapias es escasa pero creciente en los últimos años.

En relación a la inyección endoscópica de toxina botulínica A, estudios abiertos sugieren una mejoría significativa del dolor torácico en pacientes con TME. La recaída de los síntomas se puede tratar de manera eficaz con la aplicación posterior de más inyecciones.116, 117 Storr y col. evaluaron a 9 pacientes con dolor torácico y espasmo esofágico difuso diagnosticado mediante manometría convencional. Inyectaron 10 ml de toxina botulínica (10 UI/ml) en fracciones de 1 ml. Comenzaron a la altura del EEI y se extendieron proximalmente por la la pared posterior del esófago (hora 3 del campo endoscópico) a intervalos de 1 a 1,5 cm. La puntuación de dolor torácico de los pacientes disminuyó de un valor basal de 3 a 1 al mes del tratamiento y a 0 a los 6 meses del mismo (p < 0,01).116 Miller y col. evaluaron a 29 pacientes con TME espásticos no relacionados con acalasia. Demostraron que la inyección de toxina botulínica a la altura de la unión esófago gástrica logró una reducción significativa en la puntuació de dolor torácico (3,7 vs. 0,78; p < 0,0001) con una duración media del efecto de 7,3 ± 4,1 meses.117 En un ensayo prospectivo aleatorizado doble ciego realizado en 22 pacientes con EED y esófago nutcracker se realizaron inyecciones de toxina botulínica o solución fisiológica en 4 cuadrantes, a 2 y 7 cm por encima de la unión esófago gástrica. Se demostró mejoría de la disfagia sin efecto significativo sobre las puntuaciones de dolor torácico (1,9 ± 0,4 vs 1,0 ± 0,4; p = 0.43).118

Existe poca evidencia con respecto a la dilatación esofágica en el manejo del DTNC relacionado con TME espásticos.119-120

El tratamiento con POEM ha demostrado buenos resultados en pacientes con EED, esófago hipercontráctil y acalasia tipo III. En una serie prospectiva de 100 pacientes con TME tratados con POEM en un centro médico; el 91,5% de los pacientes que se presentaron con dolor torácico informaron la resolución del síntoma luego del tratamiento.121 Debido a la capacidad de esta técnica de extender la miotomía de forma proximal sobre el esófago, se considera la primera línea de tratamiento en

pacientes con acalasia tipo III con tasas de respuesta superiores en comparación con la miotomía de Heller (93% vs. 71%).122 Un metanálisis de 8 estudios observacionales con un total de 179 pacientes (116 con acalasia tipo III, 37 con esófago Jackhammer, 18 con EED y 8 con esfínter esofágico inferior hipertensivo) demostró una tasa de respuesta global del tratamiento con POEM del 87%, con una tasa de respuesta promedio en acalasia tipo III, EED y esófago Jackhammer de 92%, 88% y 72% respectivamente.123 Un estudio retrospectivo multicéntrico evaluó pacientes con EED (17) y esófago Jackhammer (18) que fueron tratados con POEM. El estudio evidenció una mejoría del dolor torácico en el 87% de los pacientes.124 Albers y col. llevaron a cabo un estudio prospectivo para evaluar la eficacia de POEM en DTNC en 14 pacientes con TME espásticos (7 con acalasia tipo III, 6 con esófago hipercontráctil y 1 con EED). El 86% de los pacientes mostraron una mejoría sintomática después del tratamiento.125 Si bien el tratamiento con POEM representa una opción terapéutica prometedora, son necesarios ECA con seguimiento a largo plazo para determinar su verdadero papel en el tratamiento del DTNC relacionado con TME espásticos.

La miotomía de Heller puede representar un tratamiento quirúrgico eficaz en algunos pacientes con DTNC relacionado con TME espásticos. Leconte y col. realizaron una miotomía quirúrgica extendida en 20 pacientes con EED y evidenciaron una mejoría de la disfagia y del dolor torácico en el 100% y en el 90% de los pacientes respectivamente, durante un seguimiento de 50 meses.126

En cuanto al manejo de la EJGOO clínicamente significativa, la dilatación endoscópica estándar puede generar mejoría sintomática con una tasa de respuesta del 69,6%; mientras que la inyección de toxina botulínica A en el esfínter esofágico inferior demostró una tasa de respuesta del 63,6%.127 En una cohorte de 33 pacientes con EJGOO la dilatación neumática tuvo una tasa de respuesta del 66,7% con un seguimiento de hasta 1,7 años.128 El tratamiento con POEM se evaluó en series de casos con muy pocos pacientes en las que se observó una resolución sintomática del 82% al 93%, con una media de seguimiento de 195 días.124,129 Como abordaje terapéutico inicial de la EJGOO se recomiendan la inyección de toxina botulínica o la dilatación endoscópica.130

DTNC relacionado con hipersensibilidad esofágica

Las modalidades terapéuticas disponibles para pacientes con hipersensibilidad esofágica son: fármacos (principalmente neuromoduladores), terapias psicológicas y medicina alternativa.131 Dichas opciones deben tenerse

Acta Gastroenterol Latinoam 2022;52(4):424-438

431
Abordaje del paciente con dolor torácico no cardiogénico de origen esofágico María Mercedes Manresa y col.

Abordaje del paciente con dolor torácico no cardiogénico de origen esofágico

en cuenta en pacientes con DTF o HR al igual que en aquellos con superposición de hipersensibilidad esofágica con ERGE o con TME.

Los neuromoduladores son la base del tratamiento de los pacientes con hipersensibilidad visceral. Se trata de fármacos, en su mayoría antidepresivos, que actúan sobre las vías sensitivas periféricas o centrales modificando el umbral sensitivo. Su uso se debe adaptar a cada paciente, es conveniente explicar el mecanismo de acción y los potenciales efectos adversos para favorecer la adherencia al tratamiento e inducir la respuesta deseada. Se debe comenzar con dosis bajas que se irán aumentando gradualmente hasta obtener una respuesta clínica. Su efecto máximo se alcanza a las 8 a 12 semanas.1

Los neuromoduladores más estudiados en DTF son los antidepresivos tricíclicos (ATC), los inhibidores selectivos de la recaptación de serotonina (ISRS) y los inhibidores de la recaptación de serotonina y noradrenalina.

Antidepresivos tricíclicos:

El efecto analgésico de los ATC probablemente se deba a la inhibición combinada de la recaptación de serotonina y noradrenalina.132 La imipramina se evaluó en 2 ECA doble ciego en pacientes con DTNC. El primero de estos estudios comparó 50 mg/día de imipramina con 0,1 mg/día de clonidina o placebo. Sólo la imipramina demostró una reducción significativa en la frecuencia del dolor en comparación con el placebo. Tanto la imipramina como la clonidina mostraron una reducción significativa en la intensidad del dolor en comparación con el placebo.133 El segundo estudio comparó 50 mg/día de imipramina con placebo en forma cruzada. Los autores demostraron que el número total de episodios de dolor torácico fue significativamente menor en el grupo de imipramina en comparación con el grupo de placebo (p = 0,01).134

En los TFE los ATC se administran a la hora de acostarse, en dosis que no modifican el estado de ánimo y que pueden aumentarse gradualmente hasta obtener el efecto deseado.135-136 Si el paciente presenta efectos adversos, se puede comenzar con una dosis más baja del mismo ATC o cambiar por otro fármaco del mismo grupo.131

Los efectos adversos se presentan en el 30% al 100% de los pacientes;137 incluyen mareos, somnolencia, retención urinaria, boca seca, estreñimiento, visión borrosa, rubor, hipotensión ortostática, disfunción sexual, arritmias y aumento de peso.135-136 Deben prescribirse con precaución en varones de edad avanzada, especialmente si presentan hipertrofia prostática benigna o enfermedad cardiovascular, y deben evitarse en pacientes con bloqueo de rama cardíaca o intervalo QT prolongado.132

Gastroenterol Latinoam 2022;52(4):424-438

Inhibidores selectivos de la recaptación de serotonina:

Los ISRS bloquean selectivamente el transportador presináptico de la serotonina y aumentan su neurotransmisión.132

Un metanálisis de todos los ECA que compararon ISRS frente a placebo en pacientes con DTNC demostró que los ISRS no fueron mejores que el placebo en cuanto a la mejoría del dolor torácico.138

La paroxetina se evaluó en 2 ECA doble ciego que no demostraron una mejoría significativa en el dolor torácico. En el primer estudio, los pacientes con DTNC que recibieron paroxetina en una dosis media de 30 mg/ día durante 8 semanas tuvieron una mejoría significativa en la percepción clínica global pero no en la puntuación específica de la percepción del dolor torácico en comparación con los que recibieron placebo.132,139 En el segundo estudio, 69 pacientes con DTNC fueron asignados al azar a 16 semanas de tratamiento ambulatorio con terapia cognitivo conductual (TCC), paroxetina o placebo. La comparación entre paroxetina y placebo se realizó de forma doble ciego y no evidenció una diferencia estadísticamente significativa en la reducción del dolor torácico. La TCC fue significativamente mejor en comparación con la paroxetina y con el placebo para reducir el dolor.140

La sertralina fue evaluada en 2 ECA doble ciego en pacientes con DTNC. En el primero se administró en dosis de 50 a 200 mg/día según la respuesta clínica y evidenció una disminución significativa de las puntuaciones de dolor torácico en comparación con el placebo (p < 0.02).141 El segundo estudio comparó placebo con tres tratamientos activos: TCC más sertralina, TCC más placebo y sertralina sola. Todos los tratamientos activos dieron como resultado mayores reducciones en la intensidad del dolor en comparación con el placebo (p ≤ 0,001) con efectos similares entre ellos (p > 0,50). Estos hallazgos sugieren que la TCC y la sertralina, ya sean solas o combinadas, pueden reducir de manera sostenida la intensidad del dolor.142

Los efectos adversos de los ISRS incluyen: náuseas, vómitos, anorexia, diarrea, disminución de la libido, retraso de la eyaculación, somnolencia, insomnio, fatiga, cefalea e hiperhidrosis.136

Inhibidores de la recaptación de serotonina y noradrenalina:

Este grupo de fármacos tiene un efecto de bloqueo variable sobre la recaptación de serotonina y noradrenalina, lo que refuerza la neurotransmisión de estas sustancias.132 Debido a la falta de efecto antimuscarínico tiene menos efectos adversos indeseables.143

432
Acta
María Mercedes Manresa y col.

La venlafaxina se evaluó en un ECA que comparó en forma cruzada 75 mg/día de este fármaco a la hora de acostarse con placebo en pacientes con DTF. Se observó una mejoría del dolor en el 52% de los pacientes que recibieron venlafaxina en comparación con el 4% de los que recibieron placebo (OR 26, IC 95%: 5,7-118,8; p < 0,001). Los efectos adversos más frecuentes fueron trastornos del sueño 144

Otros fármacos:

El citalopram ha demostrado eficacia en el tratamiento de la hipersensibilidad esofágica en un ECA.145 Se ha demostrado que este fármaco tiene diversos efectos sobre la fisiología esofágica con aumento de las presiones en la unión esofagogástrica, reducción de las relajaciones transitorias del EEI y de los eventos de reflujo. También se ha asociado con presiones elevadas del esfínter esofágico superior y sensación de globus, por lo que debe usarse con precaución en pacientes con globus asociado.146

La teofilina, un antagonista de la adenosina que relaja el músculo liso y tiene propiedades analgésicas viscerales, fue evaluada en dos estudios del grupo de Rao. Los autores demostraron que este fármaco aumentó los umbrales de percepción del dolor en pacientes sometidos a distensión esofágica con balón.147-148 A su vez, evidenciaron que disminuyó de forma significativa el número de episodios de dolor torácico (p = 0,025), su duración (p = 0,002) y su intensidad (p = 0,031) en comparación con el placebo, administrada en dosis de 200 mg dos veces al día durante 4 semanas. Como efectos adversos se observaron insomnio, náuseas, palpitaciones y temblores.147 Aunque los resultados sugieren un potencial uso de este fármaco en el DTNC, su rango terapéutico es estrecho lo que limita su uso en la práctica clínica.

El dronabinol es un agonista sintético de los receptores de cannabinoides CB1 y CB2 que ha demostrado un efecto antinociceptivo visceral.149 Un estudio piloto controlado, con placebo, doble ciego, incluyó a 19 pacientes con DTF que recibieron dronabinol (5 mg, dos veces al día) o placebo durante 4 semanas. El fármaco aumentó de forma significativa los umbrales de dolor en diferentes secuencias de insuflación del balón (3,0 vs. 1,0; p = 0,03) y redujo de forma significativa la intensidad del dolor torácico en comparación con el placebo (0,18 vs. 0,01; p = 0,04), sin efectos adversos significativos.149-150

Se necesitan más estudios con mayor número de pacientes para corroborar estos hallazgos.

Terapias psicológicas:

Se han utilizado TCC, hipnoterapia, ejercicios de relajación y terapias basadas en mindfulness para el tratamiento de varios trastornos funcionales digestivos. Estas

terapias pueden ser consideradas complementarias en el tratamiento de pacientes con trastornos funcionales esofágicos. Son especialmente útiles en pacientes con una respuesta inadecuada a los tratamientos médicos estándar.151

Una revisión de Cochrane de Kisely y col. de 17 ECA concluyó que las terapias psicológicas, especialmente la TCC y la hipnoterapia, pueden ser eficaces en el tratamiento del DTNC. Sin embargo, el análisis fue limitado debido al pequeño número de pacientes incluidos y a la heterogeneidad en los estudios.152

En la TCC los pacientes examinan sus creencias sobre los síntomas y realizan un proceso de modificación de las mismas, lo que favorece el desarrollo de mejores estrategias para el manejo de los síntomas. Un ECA comparó la TCC en un grupo de pacientes con DTNC y en un grupo control. Después de 3 meses de intervención, el grupo con TCC presentó una reducción significativa del número de días y de la gravedad del dolor en comparación con el grupo control.153

La hipnoterapia parece modular los patrones de activación cerebral asociados al procesamiento del dolor.154 En trastornos funcionales digestivos el objetivo es inducir un estado de relajación profunda con el fin de guiar a los pacientes en el ejercicio de algún control sobre su función digestiva.155 En un ECA realizado en pacientes con DTNC, la hipnoterapia demostró una reducción en las puntuaciones globales de dolor en el 80% de los pacientes en comparación con un 23% de respuesta en el grupo control (p = 0,008).156-157

Conclusión

El dolor retroesternal se puede considerar de origen no cardíaco sólo si la etiología cardiovascular ha sido descartada objetivamente por un cardiólogo, con los exámenes complementarios adecuados, según el riesgo de cada paciente. Dentro de las causas no cardíacas de dolor retroesternal, las esofágicas ocupan el primer lugar. Es fundamental realizar una evaluación diagnóstica exhaustiva de los pacientes con dolor torácico no cardiogénico con el fin de detectar una etiología específica. Esto permitirá realizar el reaseguro de los pacientes y brindar un tratamiento específico para alcanzar un mejor control del síntoma y mejorar su calidad de vida. Las comorbilidades psicológicas pueden alterar la percepción sensorial y contribuir a la severidad de los síntomas por lo que deben tenerse en cuenta en el abordaje diagnóstico y terapéutico.

Propiedad intelectual. Los autores declaran que los datos presentes en el manuscrito son originales y se realizaron en sus instituciones pertenecientes.

Acta Gastroenterol Latinoam 2022;52(4):424-438

433
Abordaje del paciente con dolor torácico no cardiogénico de origen esofágico María Mercedes Manresa y col.

Abordaje del paciente con dolor torácico no cardiogénico de origen esofágico

Financiamiento. Los autores declaran que no hubo fuentes de financiación externas.

Conflicto de interés. Los autores declaran no tener conflictos de interés en relación con este artículo.

Aviso de derechos de autor © 2022 Acta Gastroenterológica Latinoamericana. Este es un artículo de acceso abierto publicado bajo los términos de la Licencia Creative Commons Attribution (CC BY-NC-SA 4.0), la cual permite el uso, la distribución y la reproducción de forma no comercial, siempre que se cite al autor y la fuente original.

Cite este artículo como: Manresa M M, Carboné P C y Diez G. Abordaje del paciente con dolor torácico no cardiogénico de origen esofágico. Acta Gastroenterol Latinoam. 2022;52(4): 424-438. https://doi.org/10.52787/ agl.v52i4.276

Referencias

1. Gómez-Escudero O, Coss-Adame E, Amieva-Balmori M, et al. Consenso mexicano sobre dolor torácico no cardiaco. Revista de Gastroenterología de México 2019;84:372-397.

2. Fass R, Achem SR. Noncardiac chest pain: epidemiology, natural course and pathogenesis. J Neurogastroenterol Motil 2011;17:110-123.

3. Committee Members W, Gulati M, Levy PD. AHA/ACC/ASE/ CHEST/SAEM/SCCT/SCMR guideline for the evaluation and diagnosis of chest pain: a report of the American College of Cardiology/American Heart... Journal of the American, https://www. jacc.org/doi/abs/10.1016/j.jacc.2021.07.053 (2021)

4. Manterola C, Barroso MS, Losada H, et al. Prevalence of esophageal disorders in patients with recurrent chest pain. Dis Esophagus 2004;17:285-291.

5. Wong WM, Lam KF, Cheng C, et al. Population based study of noncardiac chest pain in southern Chinese: prevalence, psychosocial factors and health care utilization. World J Gastroenterol 2004;10:707-712.

6. Eslick GD, Coulshed DS, Talley NJ. Review article: the burden of illness of non-cardiac chest pain. Aliment Pharmacol Ther 2002;16:1217-1223.

7. Ford AC, Suares NC, Talley NJ. Meta-analysis: the epidemiology of noncardiac chest pain in the community. Aliment Pharmacol Ther 2011;34:172-180.

8. Chiocca JC, Olmos JA, Salis GB, et al. Prevalence, clinical spectrum and atypical symptoms of gastro-oesophageal reflux in Argentina: a nationwide population-based study. Aliment Pharmacol Ther 2005;22:331-342.

9. Eslick GD, Jones MP, Talley NJ. Non-cardiac chest pain: prevalence, risk factors, impact and consulting-a population-based study. Aliment Pharmacol Ther 2003;17:1115-1124.

Acta Gastroenterol Latinoam 2022;52(4):424-438

María Mercedes Manresa y col.

10. Al-Ani M, Winchester DE. Prevalence and Overlap of Noncardiac Conditions in the Evaluation of Low-risk Acute Chest Pain Patients. Crit Pathw Cardiol 2015;14:97-102.

11. Fass R, Fennerty MB, Johnson C, et al. Correlation of ambulatory 24-hour esophageal pH monitoring results with symptom improvement in patients with noncardiac chest pain (NCCP) due to gastroesophageal reflux disease (GERD). Gastroenterology 1998;114:A751.

12. Dickman R, Emmons S, Cui H, et al. The effect of a therapeutic trial of high-dose rabeprazole on symptom response of patients with non-cardiac chest pain: a randomized, double-blind, placebo-controlled, crossover trial. Alimentary Pharmacology and Therapeutics 2005;22:547-555.

13. Aziz Q, Fass R, Prakash Gyawali C, et al. Esophageal Disorders. Gastroenterology 2016;150:1368-1379.

14. Fass R, Dickman R. Non-cardiac chest pain: an update. Neurogastroenterology and Motility 2006;18:408-417.

15. Dellon ES, Liacouras CA, Molina-Infante J, et al. Updated International Consensus Diagnostic Criteria for Eosinophilic Esophagitis: Proceedings of the AGREE Conference. Gastroenterology 2018;155:1022-1033.e10.

16. Achem SR, Almansa C, Krishna M, et al. Oesophageal eosinophilic infiltration in patients with noncardiac chest pain. Aliment Pharmacol Ther 2011;33:1194-1201.

17. Gibbs JF, Rajput A, Chadha KS, et al. The changing profile of esophageal cancer presentation and its implication for diagnosis. J Natl Med Assoc 2007;99:620-626.

18. Sengupta JN. Esophageal sensory physiology. GI Motility online. Epub ahead of print 16 May 2006. DOI: 10.1038/gimo16

19. Richter JE, Bradley LA, Castell DO. Esophageal chest pain: current controversies in pathogenesis, diagnosis, and therapy. Ann Intern Med 1989;110:66-78.

20. Paterson WG, Abdollah H, Beck IT, et al. Ambulatory esophageal manometry, pH-metry, and Holter ECG monitoring in patients with atypical chest pain. Dig Dis Sci 1993;38:795-802.

21. Richter JE, Dalton CB, Bradley LA, et al. Oral nifedipine in the treatment of noncardiac chest pain in patients with the nutcracker esophagus. Gastroenterology 1987;93:21-28.

22. Cannon RO 3rd, Benjamin SB. Chest pain as a consequence of abnormal visceral nociception. Dig Dis Sci 1993;38:193-196.

23. Barish CF, Castell DO, Richter JE. Graded esophageal balloon distention. Dig Dis Sci 1986;31:1292-1298.

24. Richter JE, Barish CF, Castell DO. Abnormal sensory perception in patients with esophageal chest pain. Gastroenterology 1986;91:845-852.

25. Deschner WK, Maher KA, Cattau EL Jr, et al. Intraesophageal balloon distention versus drug provocation in the evaluation of noncardiac chest pain. Am J Gastroenterol 1990;85:938-943.

26. Rao SS, Gregersen H, Hayek B, et al. Unexplained chest pain: the hypersensitive, hyperreactive, and poorly compliant esophagus. Annals of internal medicine 1996;124:950-958.

27. Balaban DH, Yamamoto Y, Liu J, et al. Sustained esophageal contraction: a marker of esophageal chest pain identified by intraluminal ultrasonography. Gastroenterology 1999;116:29-37.

28. Pehlivanov N, Liu J, Mittal RK. Sustained esophageal contraction: a motor correlate of heartburn symptom. Am J Physiol Gastrointest Liver Physiol 2001;281:G743-51.

29. Mackenzie J, Land D, Belch J, et al. OESOPHAGEAL ISCHAEMIA IN MOTILITY DISORDERS ASSOCIATED WITH CHEST PAIN. Lancet 1988;332:592-595.

434

Abordaje del paciente con dolor torácico no cardiogénico de origen esofágico María Mercedes Manresa y col.

30. McIntosh K, Paterson WG. Sustained esophageal longitudinal smooth muscle contraction may not be a cause of noncardiac chest pain. Neurogastroenterol Motil 2018;30:e13428.

31. Yamasaki T, Fass R. Noncardiac chest pain: diagnosis and management. Curr Opin Gastroenterol 2017;33:293-300.

32. Eslick GD, Coulshed DS, Talley NJ. Diagnosis and treatment of noncardiac chest pain. Nat Clin Pract Gastroenterol Hepatol 2005; 2:463-472.

33. Fass R, Achem SR. Noncardiac chest pain: diagnostic evaluation. Dis Esophagus 2012;25:89-101.

34. Fenster PE. Evaluation of chest pain: a cardiology perspective for gastroenterologists. Gastroenterol Clin North Am 2004;33:35-40.

35. Pandak WM, Arezo S, Everett S, et al. Short course of omeprazole: a better first diagnostic approach to noncardiac chest pain than endoscopy, manometry, or 24-hour esophageal pH monitoring. J Clin Gastroenterol 2002;35:307-314.

36. Achem SR, Kolts BE, Wears R, et al. Chest pain associated with nutcracker esophagus: a preliminary study of the role of gastroesophageal reflux. Am J Gastroenterol 1993;88:187-192.

37. Achem SR, Kolts BE, MacMath T, et al. Effects of omeprazole versus placebo in treatment of noncardiac chest pain and gastroesophageal reflux. Dig Dis Sci 1997;42:2138-2145.

38. Gasiorowska A, Fass R. The proton pump inhibitor (PPI) test in GERD: does it still have a role? J Clin Gastroenterol 2008;42: 867-874.

39. Schindlbeck NE, Klauser AG, Voderholzer WA, et al. Empiric therapy for gastroesophageal reflux disease. Arch Intern Med 1995;155:1808-1812.

40. Fass R, Fennerty MB, Ofman JJ, et al. The clinical and economic value of a short course of omeprazole in patients with noncardiac chest pain. Gastroenterology 1998;115:42-49.

41. Johnsson F, Weywadt L, Solhaug J-H, et al. One-week omeprazole treatment in the diagnosis of gastro-oesophageal reflux disease. Scand J Gastroenterol 1998;33:15-20.

42. Fass R, Ofman JJ, Gralnek IM, et al. Clinical and economic assessment of the omeprazole test in patients with symptoms suggestive of gastroesophageal reflux disease. Arch Intern Med 1999;159:2161-2168.

43. Bate CM, Riley SA, Chapman RW, et al. Evaluation of omeprazole as a cost-effective diagnostic test for gastro-oesophageal reflux disease. Aliment Pharmacol Ther 1999;13:59-66.

44. Fass R, Ofman JJ, Sampliner RE, et al. The omeprazole test is as sensitive as 24-h oesophageal pH monitoring in diagnosing gastro-oesophageal reflux disease in symptomatic patients with erosive oesophagitis. Aliment Pharmacol Ther 2000;14:389-396.

45. Fass R. Empirical trials in treatment of gastroesophageal reflux disease. Dig Dis 2000;18:20-26.

46. Juul-Hansen P, Rydning A, Jacobsen CD, et al. High-dose proton-pump inhibitors as a diagnostic test of gastro-oesophageal reflux disease in endoscopic-negative patients. Scand J Gastroenterol 2001;36:806-810.

47. Xia HHX, Lai KC, Lam SK, et al. Symptomatic response to lansoprazole predicts abnormal acid reflux in endoscopy-negative patients with non-cardiac chest pain. Aliment Pharmacol Ther 2003;17:369-377.

48. Husser D, Bollmann A, Kühne C, et al. Evaluation of noncardiac chest pain: diagnostic approach, coping strategies and quality of life. Eur J Pain 2006;10:51-55.

49. Kim JH, Sinn DH, Son HJ, et al. Comparison of one-week and two-week empirical trial with a high-dose rabeprazole in non-cardiac chest pain patients. Journal of Gastroenterology and Hepatology 2009;24:1504-1509.

50. Flook NW, Moayyedi P, Dent J, et al. Acid-Suppressive Therapy With Esomeprazole for Relief of Unexplained Chest Pain in Primary Care: A Randomized, Double-Blind, Placebo-Controlled Trial. American Journal of Gastroenterology 2013;108:56-64.

51. Cremonini F, Wise J, Moayyedi P, et al. Diagnostic and Therapeutic Use of Proton Pump Inhibitors in Non-Cardiac Chest Pain: A Metaanalysis. The American Journal of Gastroenterology 2005;100:1226-1232.

52. Wang WH, Huang JQ, Zheng GF, et al. Is Proton Pump Inhibitor Testing an Effective Approach to Diagnose Gastroesophageal Reflux Disease in Patients With Noncardiac Chest Pain? Archives of Internal Medicine 2005;165:1222.

53. Wertli MM, Ruchti KB, Steurer J, et al. Diagnostic indicators of non-cardiovascular chest pain: a systematic review and meta-analysis. BMC Medicine; 11. Epub ahead of print 2013. DOI: 10.1186/1741-7015-11-239

54. Ghoneim S, El Hage Chehade N, Wang J, et al. S412 Diagnostic Accuracy of the Proton Pump Inhibitor Test in Patients With Gastroesophageal Reflux Disease and Non-Cardiac Chest Pain: A Systematic Review and Meta-Analysis. American Journal of Gastroenterology 2021;116:S182-S183.

55. Yadlapati R, Prakash Gyawali C, Pandolfino JE, et al. AGA Clinical Practice Update on the Personalized Approach to the Evaluation and Management of GERD: Expert Review. Clinical Gastroenterology and Hepatology 2022;20:984-994.e1.

56. Vela MF. Diagnostic Work-Up of GERD. Gastrointestinal Endoscopy Clinics of North America 2014;24:655-666.

57. Sharma VK. Role of endoscopy in GERD. Gastroenterol Clin North Am 2014;43:39-46.

58. ASGE Standards of Practice Committee, Muthusamy VR, Lightdale JR, et al. The role of endoscopy in the management of GERD. Gastrointest Endosc 2015;81:1305-1310.

59. Hsia PC, Maher KA, Lewis JH, et al. Utility of upper endoscopy in the evaluation of noncardiac chest pain. Gastrointest Endosc 1991;37:22-26.

60. Frøbert O, Funch-Jensen P, Jacobsen NO, et al. Upper endoscopy in patients with angina and normal coronary angiograms. Endoscopy 1995;27:365-370.

61. García-Compeán D, González M, Galindo G, et al. Prevalence of gastroesophageal reflux disease in patients with extraesophageal symptoms referred from otolaryngology, allergy, and cardiology practices: a … Digestive, https://www.karger.com/Article/Abstract/51392 (2000).

62. Wong W-M, Lai KC, Lau CP, et al. Upper gastrointestinal evaluation of Chinese patients with non-cardiac chest pain. Aliment Pharmacol Ther 2002;16:465-471.

63. Battaglia E, Bassotti G, Buonafede G, et al. Noncardiac chest pain of esophageal origin in patients with and without coronary artery disease. Hepatogastroenterology 2005;52:792-795.

64. Dickman R, Mattek N, Holub J, et al. Prevalence of upper gastrointestinal tract findings in patients with noncardiac chest pain versus those with gastroesophageal reflux disease (GERD)-related symptoms: results from a national endoscopic database. Am J Gastroenterol 2007;102:1173-1179.

Acta Gastroenterol Latinoam 2022;52(4):424-438

435

Abordaje del paciente con dolor torácico no cardiogénico de origen esofágico María Mercedes Manresa y col.

65. Williams JF, Sontag SJ, Schnell T, et al. Non-cardiac chest pain: the long-term natural history and comparison with gastroesophageal reflux disease. Am J Gastroenterol 2009;104:2145-2152.

66. Katz PO, Dunbar KB, Schnoll-Sussman FH, et al. ACG Clinical Guideline for the Diagnosis and Management of Gastroesophageal Reflux Disease. Am J Gastroenterol 2022;117:27-56.

67. Gyawali CP, Kahrilas PJ, Savarino E, et al. Modern diagnosis of GERD: the Lyon Consensus. Gut 2018;67:1351-1362.

68. Kim HP, Vance RB, Shaheen NJ, et al. The prevalence and diagnostic utility of endoscopic features of eosinophilic esophagitis: a meta-analysis. Clin Gastroenterol Hepatol 2012;10:988-96.e5.

69. Dunbar KB, Agoston AT, Odze RD, et al. Association of Acute Gastroesophageal Reflux Disease With Esophageal Histologic Changes. JAMA 2016;315:2104-2112.

70. Odiase E, Schwartz A, Souza RF, et al. New Eosinophilic Esophagitis Concepts Call for Change in Proton Pump Inhibitor Management Before Diagnostic Endoscopy. Gastroenterology 2018;154:1217-1221.e3.

71. Pandolfino JE, Kahrilas PJ. Prolonged pH monitoring: Bravo capsule. Gastrointest Endosc Clin N Am 2005;15:307-318.

72. Roman S, Gyawali CP, Savarino E, et al. Ambulatory reflux monitoring for diagnosis of gastro-esophageal reflux disease: Update of the Porto consensus and recommendations from an international consensus group. Neurogastroenterol Motil 2017;29:e13067.

73. Lacima G, Grande L, Pera M, et al. Utility of ambulatory 24hour esophageal pH and motility monitoring in noncardiac chest pain: report of 90 patients and review of the literature. Dig Dis Sci 2003;48:952-961.

74. Streets CG, DeMeester TR. Ambulatory 24-hour esophageal pH monitoring: why, when, and what to do. J Clin Gastroenterol 2003;37:14-22.

75. Demeester TR, O'sullivan GC, Bermudez G, et al. Esophageal Function in Patients with Angina-Type Chest Pain and Normal Coronary Angiograms. Annals of Surgery 1982;196:488-498.

76. de Caestecker JS, Blackwell JN, Brown J, et al. The oesophagus as a cause of recurrent chest pain: which patients should be investigated and which tests should be used? Lancet 1985;2:1143-1146.

77. Janssens J, Vantrappen G, Ghillebert G. 24-hour recording of esophageal pressure and pH in patients with noncardiac chest pain. Gastroenterology 1986;90:1978-1984.

78. Schofield PM, Bennett DH, Whorwell PJ, et al. Exertional gastro-oesophageal reflux: a mechanism for symptoms in patients with angina pectoris and normal coronary angiograms. Br Med J 1987;294:1459-1461.

79. Hewson EG, Dalton CB, Richter JE. Comparison of esophageal manometry, provocative testing, and ambulatory monitoring in patients with unexplained chest pain. Dig Dis Sci 1990;35:302-309.

80. Hewson EG, Sinclair JW, Dalton CB, et al. Twenty-four-hour esophageal pH monitoring: the most useful test for evaluating noncardiac chest pain. Am J Med 1991;90:576-583.

81. Prakash C, Clouse RE. Wireless pH monitoring in patients with non-cardiac chest pain. Am J Gastroenterol 2006;101:446-452.

82. Prakash C, Jonnalagadda S, Azar R, et al. Endoscopic removal of the wireless pH monitoring capsule in patients with severe discomfort. Gastrointest Endosc 2006;64:828-832.

83. Herregods TVK, Bredenoord AJ, Oors JM, et al. Determinants of the Association between Non-Cardiac Chest Pain and Reflux. Am J Gastroenterol 2017;112:1671-1677.

Acta Gastroenterol Latinoam 2022;52(4):424-438

84. Ribolsi M, Balestrieri P, Biasutto D, et al. Role of Mixed Reflux and Hypomotility with Delayed Reflux Clearance in Patients with Non-cardiac Chest Pain. J Neurogastroenterol Motil 2016;22:606-612.

85. Min YW, Choi K, Pyo JH, et al. Impaired Esophageal Mucosal Integrity May Play a Causative Role in Patients With Nongastroesophageal Reflux Disease-Related Noncardiac Chest Pain. Medicine 2015;94:e2295.

86. Katz PO, Dalton CB, Richter JE, et al. Esophageal testing of patients with noncardiac chest pain or dysphagia. Results of three years’ experience with 1161 patients. Ann Intern Med 1987;106:593-597.

87. Dekel R, Pearson T, Wendel C, et al. Assessment of oesophageal motor function in patients with dysphagia or chest painthe Clinical Outcomes Research Initiative experience. Alimentary Pharmacology & Therapeutics 2003;18:1083-1089.

88. Akinsiku O, Yamasaki T, Brunner S, et al. High resolution vs conventional esophageal manometry in the assessment of esophageal motor disorders in patients with non-cardiac chest pain. Neurogastroenterol Motil 2018;30:e13282.

89. Lemme EM, Moraes-Filho JP, Domingues G, et al. Manometric findings of esophageal motor disorders in 240 Brazilian patients with non-cardiac chest pain. Dis Esophagus 2000;13:117-121.

90. Yadlapati R, Kahrilas PJ, Fox MR, et al. Esophageal motility disorders on high-resolution manometry: Chicago classification version 4.0©. Neurogastroenterol Motil 2021;33:e14058.

91. Gomez Cifuentes J, Lopez R, Thota PN. Factors predictive of gastroesophageal reflux disease and esophageal motility disorders in patients with non-cardiac chest pain. Scand J Gastroenterol 2018;53:643-649.

92. Johnston BT, Troshinsky MB, Castell JA, et al. Comparison of barium radiology with esophageal pH monitoring in the diagnosis of gastroesophageal reflux disease. Am J Gastroenterol 1996;91:1181-1185.

93. Roman S, Kahrilas PJ. Distal Esophageal Spasm. Dysphagia 2012;27:115-123.

94. Schima W, Stacher G, Pokieser P, et al. Esophageal motor disorders: videofluoroscopic and manometric evaluation--prospective study in 88 symptomatic patients. Radiology 1992;185:487-491.

95. Neyaz Z, Gupta M, Ghoshal UC. How to Perform and Interpret Timed Barium Esophagogram. Journal of Neurogastroenterology and Motility 2013;19:251-256.

96. Min YW, Rhee P-L. Esophageal hypersensitivity in noncardiac chest pain. Ann N Y Acad Sci 2016;1380:27-32.

97. Bernstein LM, Baker LA. A Clinical Test For Esophagitis. Gastroenterology 1958;34:760-781.

98. Fass R, Naliboff B, Higa L, et al. Differential effect of long-term esophageal acid exposure on mechanosensitivity and chemosensitivity in humans. Gastroenterology 1998;115:1363-1373.

99. Nasr I, Attaluri A, Coss-Adame E, et al. Diagnostic utility of the oesophageal balloon distension test in the evaluation of oesophageal chest pain. Alimentary Pharmacology & Therapeutics 2012;35:1474-1481.

100. Nasr I, Attaluri A, Hashmi S, et al. Investigation of esophageal sensation and biomechanical properties in functional chest pain. Neurogastroenterology & Motility. Epub ahead of print 2010. DOI: 10.1111/j.1365-2982.2009.01451.x

436

Abordaje del paciente con dolor torácico no cardiogénico de origen esofágico María Mercedes Manresa y col.

101. Drewes AM, Schipper K-P, Dimcevski G, et al. Multi-modal induction and assessment of allodynia and hyperalgesia in the human oesophagus. European Journal of Pain 2003;7:539-549.

102.Clouse RE, Carney RM. The psychological profile of non-cardiac chest pain patients. Eur J Gastroenterol Hepatol 1995;7:1160-1165.

103. Campbell KA, Madva EN, Villegas AC, et al. Non-cardiac Chest Pain: A Review for the Consultation-Liaison Psychiatrist. Psychosomatics 2017;58:252-265.

104. Ortiz-Olvera NX, González-Martínez M, Ruiz-Flores LG, et al. [Causes of non-cardiac chest pain: multidisciplinary perspective]. Rev Gastroenterol Mex 2007;72:92-99.

105. Clouse RE, Lustman PJ. Psychiatric illness and contraction abnormalities of the esophagus. N Engl J Med 1983;309:1337-1342.

106. Yamasaki T, Fass R. Noncardiac chest pain. Current Opinion in Gastroenterology 2017;33:293-300.

107. Lima JJ, Franciosi JP. Pharmacogenomic testing: the case for CYP2C19 proton pump inhibitor gene-drug pairs. Pharmacogenomics 2014;15:1405-1416.

108. Graham DY, Tansel A. Interchangeable Use of Proton Pump Inhibitors Based on Relative Potency. Clin Gastroenterol Hepatol 2018;16:800-808.e7.

109. Bautista J, Fullerton H, Briseno M, et al. The effect of an empirical trial of high-dose lansoprazole on symptom response of patients with non-cardiac chest pain - a randomized, double-blind, placebo-controlled, crossover trial. Alimentary Pharmacology & Therapeutics 2004;19:1123-1130.

110. Borjesson M, Rolny P, Mannheimer C, et al. Nutcracker oesophagus: a double-blind, placebo-controlled, cross-over study of the effects of lansoprazole. Alimentary Pharmacology & Therapeutics 2003;18:1129-1135.

111. Burgstaller JM, Jenni BF, Steurer J, et al. Treatment Efficacy for Non-Cardiovascular Chest Pain: A Systematic Review and Meta-Analysis. PLoS ONE 2014;9:e104722.

112. Abdul Kadir NP, Ma ZF, Abdul Hafidz MI, et al. Comparing Efficacy and Safety of Empirical vs. Guided Therapy for Non-cardiac Chest Pain: A Pragmatic Randomized Trial. Front Med 2021;8:605647.

113. Konturek JW, Gillessen A, Domschke W. Diffuse Esophageal Spasm: A Malfunction That Involves Nitric Oxide? Scandinavian Journal of Gastroenterology 1995;30:1041-1045.

114. Cattau EL Jr, Castell DO, Johnson DA, et al. Diltiazem therapy for symptoms associated with nutcracker esophagus. Am J Gastroenterol 1991;86:272-276.

115. Fox M, Sweis R, Wong T, et al. Sildenafil relieves symptoms and normalizes motility in patients with oesophageal spasm: a report of two cases. Neurogastroenterol Motil 2007;19:798-803.

116. Storr M, Allescher HD, Rösch T, et al. Treatment of symptomatic diffuse esophageal spasm by endoscopic injections of botulinum toxin: a prospective study with long-term follow-up. Gastrointest Endosc 2001;54:754-759.

117. Miller LS, Pullela SV, Parkman HP, et al. Treatment of Chest Pain in Patients With Noncardiac, Nonreflux, Nonachalasia Spastic Esophageal Motor Disorders Using Botulinum Toxin Injection Into The Gastroesophageal Junction. American Journal of Gastroenterology 2002;97:1640-1646.

118. Vanuytsel T, Bisschops R, Farré R, et al. Botulinum toxin reduces Dysphagia in patients with nonachalasia primary esophageal motility disorders. Clin Gastroenterol Hepatol 2013;11:11151121.e2.

119. Winters C, Artnak EJ, Benjamin SB, et al. Esophageal bougienage in symptomatic patients with the nutcracker esophagus. A primary esophageal motility disorder. JAMA 1984;252:363-366.

120. Irving JD, Owen WJ, Linsell J, et al. Management of diffuse esophageal spasm with balloon dilatation. Gastrointest Radiol 1992;17:189-192.

121. Sharata AM, Dunst CM, Pescarus R, et al. Peroral endoscopic myotomy (POEM) for esophageal primary motility disorders: analysis of 100 consecutive patients. J Gastrointest Surg 2015;19:161-70; discussion 170.

122. Andolfi C, Fisichella PM. Meta-analysis of clinical outcome after treatment for achalasia based on manometric subtypes. Br J Surg 2019;106:332-341.

123. Khan MA, Kumbhari V, Ngamruengphong S, et al. Is POEM the Answer for Management of Spastic Esophageal Disorders? A Systematic Review and Meta-Analysis. Dig Dis Sci 2017;62:35-44.

124. Khashab MA, Familiari P, Draganov PV, et al. Peroral endoscopic myotomy is effective and safe in non-achalasia esophageal motility disorders: an international multicenter study. Endosc Int Open 2018;6:E1031-E1036.

125. Albers D, Frieling T, Dakkak D, et al. Peroral endoscopic myotomy (POEM) is effective in treatment of noncardiac chest pain caused by hypercontractile esophageal motility disorders: results of the POEM-HYPE-Study. Z Gastroenterol 2018;56:1337-1342.

126. Leconte M, Douard R, Gaudric M, et al. Functional results after extended myotomy for diffuse oesophageal spasm. Br J Surg 2007;94:1113-1118.

127. Zikos TA, Triadafilopoulos G, Clarke JO. Esophagogastric Junction Outflow Obstruction: Current Approach to Diagnosis and Management. Curr Gastroenterol Rep 2020;22:9.

128. Clayton SB, Shin CM, Ewing A, et al. Pneumatic dilation improves esophageal emptying and symptoms in patients with idiopathic esophago-gastric junction outflow obstruction. Neurogastroenterol Motil 2019;31:e13522.

129. Filicori F, Dunst CM, Sharata A, et al. Long-term outcomes following POEM for non-achalasia motility disorders of the esophagus. Surg Endosc 2019;33:1632-1639.

130. Patel DA, Yadlapati R, Vaezi MF. Esophageal Motility Disorders: Current Approach to Diagnostics and Therapeutics. Gastroenterology 2022;162:1617-1634.

131. Fass R, Shibli F, Tawil J. Diagnosis and Management of Functional Chest Pain in the Rome IV Era. Journal of Neurogastroenterology and Motility 2019;25:487-498.

132. Drossman DA, Tack J, Ford AC, et al. Neuromodulators for Functional Gastrointestinal Disorders (Disorders of Gut−Brain Interaction): A Rome Foundation Working Team Report. Gastroenterology 2018;154:1140-1171.e1.

133. Cannon RO, Quyyumi AA, Mincemoyer R, et al. Imipramine in Patients with Chest Pain Despite Normal Coronary Angiograms. New England Journal of Medicine 1994;330:1411-1417.

134. Kaski JC, Cox ID, Robert Crook J, et al. Differential plasma endothelin levels in subgroups of patients with angina and angiographically normal coronary arteries. American Heart Journal 1998;136:412-417.

Acta Gastroenterol Latinoam 2022;52(4):424-438

437

Abordaje del paciente con dolor torácico no cardiogénico de origen esofágico

135. Maradey-Romero C, Fass R. New therapies for non-cardiac chest pain. Curr Gastroenterol Rep 2014;16:390.

136. Dickman R, Maradey-Romero C, Fass R. The role of pain modulators in esophageal disorders - no pain no gain. Neurogastroenterology & Motility 2014;26:603-610.

137. Sindrup SH, Otto M, Finnerup NB, et al. Antidepressants in the treatment of neuropathic pain. Basic Clin Pharmacol Toxicol 2005;96:399-409.

138. Atluri DK, Chandar AK, Fass R, et al. Systematic review with meta-analysis: selective serotonin reuptake inhibitors for noncardiac chest pain. Aliment Pharmacol Ther 2015;41:167-176.

139. Doraiswamy PM, Varia I, Hellegers C, et al. A randomized controlled trial of paroxetine for noncardiac chest pain. Psychopharmacol Bull 2006;39:15-24.

140. Spinhoven P, Van der Does AJW, Van Dijk E, et al. Heart-focused anxiety as a mediating variable in the treatment of noncardiac chest pain by cognitive-behavioral therapy and paroxetine. Journal of Psychosomatic Research 2010;69 227-235.

141. Varia I, Logue E, O’Connor C, et al. Randomized trial of sertraline in patients with unexplained chest pain of noncardiac origin. American Heart Journal 2000;140:367-372.

142. Keefe FJ, Shelby RA, Somers TJ, et al. Effects of coping skills training and sertraline in patients with non-cardiac chest pain: A randomized controlled study. Pain 2011;152:730-741.

143. Gutierrez MA, Stimmel GL, Aiso JY. Venlafaxine: A 2003 update. Clinical Therapeutics 2003;25:2138-2154.

144. Lee H, Kim JH, Min B-H, et al. Efficacy of Venlafaxine for Symptomatic Relief in Young Adult Patients With Functional Chest Pain: A Randomized, Double-Blind, Placebo-Controlled, Crossover Trial. American Journal of Gastroenterology 2010;105:1504-1512.

145. Viazis N, Keyoglou A, Kanellopoulos AK, et al. Selective serotonin reuptake inhibitors for the treatment of hypersensitive esophagus: a randomized, double-blind, placebo-controlled study. Am J Gastroenterol 2012;107:1662-1667.

146. Manolakis AC, Broers C, Geysen H, et al. Effect of citalopram on esophageal motility in healthy subjects-Implications for reflux episodes, dysphagia, and globus. Neurogastroenterol Motil 2019;31:e13632.

147. Rao SSC, Mudipalli RS, Mujica V, et al. Digestive Diseases and Sciences. 2002;47:2763-2768.

148. Rao SSC, Mudipalli RS, Remes-Troche JM, et al. Theophylline Improves Esophageal Chest Pain?A Randomized, Placebo-Controlled Study. The American Journal of Gastroenterology 2007;102:930-938.

149. Jaggar SI, Hasnie FS, Sellaturay S, et al. The anti-hyperalgesic actions of the cannabinoid anandamide and the putative CB2 receptor agonist palmitoylethanolamide in visceral and somatic inflammatory pain. Pain 1998;76:189-199.

150. Malik Z, Bayman L, Valestin J, et al. Dronabinol increases pain threshold in patients with functional chest pain: a pilot double-blind placebo-controlled trial. Dis Esophagus 2017;30:1-8.

151. Keefer L, Palsson OS, Pandolfino JE. Best Practice Update: Incorporating Psychogastroenterology Into Management of Digestive Disorders. Gastroenterology 2018;154:1249-1257.

152. Kisely SR, Campbell LA, Yelland MJ, et al. Psychological interventions for symptomatic management of non-specific chest pain in patients with normal coronary anatomy. Cochrane Database Syst Rev 2015;CD004101.

153. Jonsbu E, Dammen T, Morken G, et al. Short-term cognitive behavioral therapy for non-cardiac chest pain and benign palpitations: a randomized controlled trial. J Psychosom Res 2011;70:117-123.

154. Riehl ME, Keefer L. Hypnotherapy for Esophageal Disorders. American Journal of Clinical Hypnosis 2015;58:22-33.

155. Vasant DH, Whorwell PJ. Gut-focused hypnotherapy for Functional Gastrointestinal Disorders: Evidence-base, practical aspects, and the Manchester Protocol. Neurogastroenterol Motil 2019;31:e13573.

156. Riehl ME, Pandolfino JE, Palsson OS, et al. Feasibility and acceptability of esophageal-directed hypnotherapy for functional heartburn. Diseases of the Esophagus 2016;29:490-496.

157. Jones H. Treatment of non-cardiac chest pain: a controlled trial of hypnotherapy. Gut 2006;55:1403-1408.

Gastroenterol Latinoam 2022;52(4):424-438

438
Acta
María Mercedes Manresa y col.

Novedades terapéuticas en la esofagitis eosinofílica

Javier Molina-Infante1, 2 · Alfredo J Lucendo2, 3, 4

1 Servicio de Aparato Digestivo, Hospital Universitario de Cáceres, Cáceres, España.

2 Centro de Investigación Biomédica en Red Enfermedades Hepáticas y Digestivas (CIBEREHD), Madrid, España.

3 Hospital General de Tomelloso, Ciudad Real, España.

4 Instituto de Investigación Sanitaria de Castilla-La Mancha (IDISCAM).

Acta Gastroenterol Latinoam 2022;52(4):439-452

Recibido: 30/10/2022 / Aceptado: 11/12/2022 / Publicado online: 21/12/2022 / https://doi.org/10.52787/agl.v52i4.270

Resumen

La esofagitis eosinofílica (EoE) es una enfermedad inmunoalérgica crónica causada, en la mayoría de los casos, por una alergia alimentaria no IgE mediada. Su prevalencia actual es superior a 1 caso por cada 1000 habitantes en España y Europa, mientras que es emergente en el continente sudamericano. Esta revisión trata de actualizar las novedades terapéuticas aparecidas en los últimos 5 años para inducción y mantenimiento en esta patología, incluyendo la aparición de nuevos fármacos antiácidos (inhibidores del ácido competitivos del potasio), la simplificación de los esquemas dietéticos, la aparición de nuevos corticoides deglutidos diseñados específicamente para el tratamiento tópico, así como la incorporación de fármacos biológicos al algoritmo terapéutico de la enfermedad. La dilatación endoscópica continúa siendo un complemento eficaz y seguro para la mejoría sintomática, en combinación con tratamientos antiinflamatorios de la enfermedad.

Palabras claves. Esofagitis eosinofílica, inhibidor de la bomba de protones, corticoides tópicos, dieta, fármacos biológicos, dilatación.

Therapeutic Developments in Eosinophilic Esophagitis

Summary

Eosinophilic esophagitis (EoE) is a chronic immunoallergic disorder caused, in most cases, by a non-IgE mediated food allergy. Its current prevalence exceeds 1 case per 1,000 inhabitants in Spain and Europe, while it is emerging in South America. This review attempts to update the therapeutic novelties that have appeared in the last 5 years for either induction or maintenance in this pathology, including new anti-acid drugs (potassium competitive acid blockers), simplified optimization of dietary schemes, novel swallowed topical corticosteroids specifically developed for esophageal delivery, as well as the incorporation of biologic agents into the therapeutic algorithm of the disease. Endoscopic dilation continues to be a safe and effective complement for symptomatic improvement, in combination with anti-inflammatory treatments for the disease.

Correspondencia: Javier Molina-Infante

Correo electrónico: xavi_molina@hotmail.com

Keywords. Eosinophilic esophagitis, proton pump inhibitor, topical corticosteroid, diet, biologics, dilation.

Acta Gastroenterol Latinoam 2022;52(4):439-452

439
♦REVISIÓN

Abreviaturas

EoE: Esofagitis eosinofílica. eos/cga: eosinófilos por campo de gran aumento. ERGE: Enfermedad por reflujo gastroesofágico.

IBP: Inhibidor de la bomba de protones.

Introducción

La esofagitis eosinofílica (EoE) es una enfermedad inflamatoria del esófago de carácter crónico, caracterizada clínicamente por presentar síntomas de disfunción esofágica. Histológicamente se observa una inflamación esofágica en la que predominan los leucocitos eosinófilos, habitualmente más de 15 eosinófilos por campo de gran aumento (eos/cga).1 Actualmente, se considera como una forma distinta de alergia alimentaria no mediada por IgE desencadenada en forma predominante, pero no exclusivamente, por antígenos alimentarios.1, 2 La incidencia y prevalencia (al ser una enfermedad crónica) de la EoE han sufrido un crecimiento aritmético constante desde la caracterización inicial de esta condición, a principios de los años 1990, como un síndrome clínicopatológico distinto de la gastroenteritis eosinofílica, por dos grupos independientes de investigadores en Estados Unidos y Suiza.3, 4 Casi 30 años después, la EoE ha dejado de ser una enfermedad rara,5 con cifras actualizadas de prevalencia alrededor de 1 de cada 1000 habitantes en Europa y Norteamérica,6-8 mientras que su frecuencia, aunque notablemente inferior, comienza a ascender progresivamente en el continente sudamericano.9 La EoE representa en la actualidad la segunda causa de esofagitis crónica tras la enfermedad por reflujo gastroesofágico (ERGE) y la principal causa de disfagia e impactación alimentaria en niños y adultos jóvenes.1

Esta revisión trata de actualizar el conocimiento sobre cómo tratar la enfermedad en el momento que se cumplen tres décadas desde su descripción inicial, sin entrar por tanto en consideraciones fisiopatológicas o diagnósticas. El algoritmo terapéutico propuesto en las últimas guías clínicas de 2017 sigue plenamente vigente1 con tres terapias de primera línea a elegir entre fármacos inhibidores de la bomba de protones (IBP), corticoides tópicos deglutidos o restricciones dietéticas empíricas. El papel a desempeñar por los fármacos biológicos y las nuevas moléculas en desarrollo en este algoritmo es el principal cambio a tener en cuenta. Se revisarán de manera detallada los datos actualizados de eficacia y seguridad de cada una de las intervenciones terapéuticas, tanto en las etapas de inducción como de mantenimiento. De igual manera, se expondrá la información emergente sobre nuevos fár-

Gastroenterol Latinoam 2022;52(4):439-452

macos (bloqueadores de ácido competitivo del potasio, nuevos corticoides tópicos y biológicos) y mejoras dietéticas optimizadas, destacando cuál es el probable lugar que ocuparían en el futuro próximo.

1. Fármacos supresores de la secreción ácida Inhibidores de la bomba de protones (IBP) Inducción

Estudios prospectivos iniciales realizados en España documentaron que el tratamiento con IBP es capaz de inducir la remisión histológica de la enfermedad (definida como una reducción del infiltrado eosinofílico por debajo de los 15 eos/cga en el 50% y 57% de los pacientes adultos y pediátricos, respectivamente.10, 11 La primera revisión sistemática con metaanálisis (2016), incluyendo 33 estudios con 619 pacientes con EoE, demostró que los IBP inducían la remisión histológica en el 50,5% (IC del 95%: 42,2 - 58,7%) y mejoría sintomática en el 60,8% de los pacientes tratados, sin documentar diferencias significativas respecto a la edad de los pacientes, el diseño del estudio o el tipo de IBP evaluado.12 Se observó una tendencia hacia una mayor eficacia cuando se repartió la dosis total en dos tomas al día, y entre los pacientes con un reflujo gastroesofágico patológico en la pHmetría.12 Actualmente, las dosis recomendadas de IBP en adultos son omeprazol 20-40 mg dos veces al día o equivalente; en niños, 1-2 mg/kg de omeprazol al día o equivalente. En 2020 se publicó el mayor estudio realizado hasta la fecha, con datos prospectivos de eficacia de IBP como terapia de inducción en 630 pacientes (76 niños) provenientes del Registro Europeo de Esofagitis Eosinofílica (EoE Connect)13 mostrando una eficacia global del 48%, definida como un pico de < 15 eos/cga tras el tratamiento; dos tercios de los respondedores presentaron remisión profunda, definida por < 5 eos/cga. No se observaron diferencias en la eficacia de los distintos fármacos IBP cuando se emplearon a dosis equivalentes. Un subanálisis posterior demostró que, entre los pacientes respondedores, los IBP permitían la reversión de la fibrosis esofágica asociada a la inflamación eosinofílica, aunque más lentamente que los corticoides tópicos.14 En resumen, los IBP como terapia de inducción provocan la remisión histológica de la enfermedad en la mitad de los pacientes pediátricos y adultos.

Mantenimiento

Una vez documentada la remisión de la enfermedad con IBP, diversos estudios han evaluado diferentes esquemas de mantenimiento con resultados de eficacia similares.15-19 Las dosis de IBP y duración, así como la eficacia histológica en estos estudios, se encuentran detalladas en

440
Acta
Novedades terapéuticas en la esofagitis eosinofílica Javier Molina-Infante y col.

Novedades terapéuticas en la esofagitis eosinofílica Javier Molina-Infante y col.

la Tabla 1. De manera global, el uso de dosis decrecientes de IBP de mantenimiento tras el éxito en la inducción condiciona la remisión sostenida histológica en el 60-80% de los pacientes. Entre los pacientes en los que recidiva la inflamación con la bajada de dosis de IBP, la mayoría (70%) pueden recuperar la remisión volviendo a aumentar la dosis de IBP hasta los valores iniciales utilizados en la inducción.15 En la bibliografía médica reciente,

los factores predictores de buena respuesta a IBP de mantenimiento son la remisión histológica profunda con el tratamiento de inducción (< 5 o < 1 eos/cga), un perfil metabolizador lento de CYP2C19 y la ausencia de comorbilidades alérgicas, especialmente la rinoconjuntivitis inducida por la sensibilización a los aeroalérgenos.15,19 No existen datos publicados sobre problemas de seguridad de los IBP a mediano plazo en pacientes con EoE.

Tabla 1. Resultados de eficacia de los IBP como tratamiento de mantenimiento, con información sobre dosis de mantenimiento y duración de los estudios

Autor, año de publicación Población, Tamaño Dosis de mantenimiento Remisión histológica País muestral y duración de la terapia (< 15 eos/cga)

Molina-Infante, 201515 Adultos 75 Dosis decrecientes a criterio 73% España del médico, 1 año Gomez-Torrijos, 201616 Adultos 38 Omeprazol 40 mg/día, 1 año 81% España Gutierrez-Junquera, 201611 Niños 14 1 mg/kg/día, 1 año 78% España Gutierrez-Junquera, 201817 Niños, 57 1 mg/kg/día, 1 año 70% España

Laserna-Mendieta, 202013 Niños y adultos, 103 Dosis decrecientes a criterio del 69% Registro Europeo médico, tiempo no especificado Thakkar, 202218 Adultos 50 Dosis decrecientes, similares o 60% EE.UU. intensificadas a criterio del médico, media de seguimiento 3,6 años

Bloqueador de ácido competitivo del potasio

Existe un nuevo grupo emergente de fármacos bloqueadores del ácido que actúan mediante un mecanismo distinto a los IBP, dado que compiten de manera selectiva y reversible con los canales de potasio de la célula parietal gástrica. Se denominan bloqueadores de ácido competitivo del potasio; fueron originalmente desarrollados en Japón y los más estudiados han sido vonoprazán y, en menor medida, tegoprazán. Comparados con cualquier IBP, se caracterizan por inducir una reducción de la producción de ácido más rápida, más potente, más estable y sostenida en el tiempo y sin estar influida por los alimentos.20 La primera serie de pacientes con EoE tratados con estos fármacos fue publicada en 2016 por autores japoneses. En esta serie, de cuatro pacientes con EoE que no consiguieron la remisión histológica con IBP (esomeprazol 20 mg/día durante 3 meses, dosis tal vez infraterapéuticas), tres de ellos fueron tratados exitosamente a posteriori con vonoprazán 20 mg/12 h du-

rante 3 meses.21 En el año 2021, se publica también en Japón el primer estudio retrospectivo no aleatorizado, que incluyó a 114 pacientes con EoE tratados con rabeprazol 10 mg (n=22) o 20 mg (n=34), esomeprazol 20 mg (n=22) y vonoprazan 20 mg (n=33) administrados una vez al día durante al menos 2 meses, con seguimiento clínico y endoscópico posterior22. Se documentó una remisión histológica similar entre grupos (30-40%), sin poder encontrarse diferencias entre ellos, probablemente debido al bajo tamaño muestral.22 Estos resultados preliminares deben ser validados fuera de Japón. Teniendo en cuenta que tanto los IBP como el vonoprazán son inhibidores de la secreción ácida, uno podría pensar que la ERGE es la causa de la EoE en estos pacientes y que, por tanto, se curan con estos medicamentos simplemente por su acción antiácida. Ya ha sido ampliamente demostrado que la respuesta a IBP puede acontecer con exposición ácida esofágica fisiológica o patológica en la pHmetría,12, 23 además la EoE y la ERGE no son entida-

Acta Gastroenterol Latinoam 2022;52(4):439-452

441

des mutuamente excluyentes, sino que es frecuente que coexistan y puedan ser independientes o interaccionar bilateralmente.23 Independientemente del ácido, se han descrito efectos antiinflamatorios (antialérgicos) in vitro del omeprazol, que es capaz de inhibir la secreción de eotaxina-3 (la principal molécula atrayente de eosinófilos al esófago) al ser añadida a cultivos de epitelio esofágico estimulados con IL-4 e IL-13.24 Recientemente, estos mismos efectos antiinflamatorios han sido confirmados en cultivos celulares de EoE para IBP y bloqueadores del ácido competitivo del potasio, efecto que parece estar mediado por una bomba de protones no gástrica.25 De igual manera que fue expresado con anterioridad, los efectos antiácidos y antiinflamatorios de los IBP o el vonoprazán no son excluyentes, sino que incluso pueden coexistir en el mismo paciente con EoE.

2. Dietas empíricas de eliminación Inducción

El gran atractivo del tratamiento dietético para la EoE procede de la posibilidad de mantener la enfermedad en remisión sin necesidad de fármacos. La alimentación exclusiva mediante una dieta elemental (formulaciones líquidas de aminoácidos desprovistas de capacidad antigénica sin tomar otro alimento alternativo) es la intervención dietética más eficaz (90%), pero inviable a mediano y largo plazo. 26 La eliminación dirigida de alimentos en función de los resultados de las pruebas de alergia es ineficaz en adultos y con resultados contradictorios en niños. 26 Por tales motivos el estándar actual en la práctica clínica son las dietas de eliminación empírica de los alimentos más frecuentemente implicados en la aparición de EoE. Esta aproximación terapéutica ha sufrido una inversión conceptual en los últimos años, desde dietas iniciales marcadamente restrictivas con eliminación de hasta seis grupos alimentarios (dieta de 6 alimentos) 27 hasta los esquemas actuales, donde se inicia retirando leche de vaca en niños o los dos alimentos más comunes en adultos, y se escala en el nivel de retirada progresivamente según la respuesta clínica. 28 Los datos de eficacia y aspectos a tener en cuenta en cada nivel de este esquema de eliminación dietética progresiva se encuentran resumidos en la Tabla 2.

La dieta de 6 alimentos (proteína de leche de vaca, trigo, huevo, soja, frutos secos, pescados y mariscos) tiene una eficacia homogénea del 72% en niños y adultos demostrada en un metaanálisis de siete estudios observacionales. 26 Los estudios iniciales, donde se hacían 6 reintroducciones individuales de alimen -

tos con 6 endoscopias en un proceso que se prolongaba casi durante un año, reveló que la leche de vaca es el principal causante de la enfermedad, especialmente en niños, seguido del trigo y los huevos. 26 La soja (EE. UU.) y las legumbres (España) parecen relevantes en países con elevado consumo local, mientras que los frutos secos, el pescado y el marisco apenas producen la enfermedad. De igual modo, la gran mayoría de los pacientes respondedores a la dieta de 6 alimentos tienen 1 o 2 alimentos causantes después de un proceso tan largo con tantos procedimientos endoscópicos, es decir, que había margen de simplificación y optimización de las dietas. 26, 29 Esta fue la base racional para el diseño de la dieta de 4 alimentos (leche, trigo, huevo y leguminosas/soja), con una eficacia global para lograr la remisión histológica de la EoE del 54% en adultos 29 y del 64% en niños. 30 Más recientemente un estudio multicéntrico prospectivo ha evaluado la eficacia de una dieta de eliminación de 2 alimentos (leche y trigo) en 125 pacientes pediátricos y adultos, seguida por una de 4 alimentos en los casos sin resolución histológica, reservando la dieta de 6 alimentos como última opción de rescate en ausencia de respuesta a la de 4 alimentos. 31 Este acercamiento terapéutico escalonado (2-4-6) logró tasas de remisión clínica e histológica del 43%, 60% y 79%, respectivamente, evitando numerosas restricciones dietéticas innecesarias, reduciendo en un 20% el número de endoscopias y el tiempo de proceso diagnóstico, comparado con comenzar directamente con una dieta de eliminación empírica de 6 alimentos. 31 Una ventaja adicional es que el 90% de los respondedores a una dieta empírica de eliminación de 2 o 4 alimentos en este proceso progresivo de escalada tendrá únicamente uno o dos alimentos causantes, siendo éstos los mejores candidatos para el mantenimiento con dieta. 31 En 2022 se ha publicado el primer estudio multicéntrico prospectivo en niños (n=41, media de edad 9 años), evaluando la eficacia de la eliminación de la leche de vaca en pacientes con ausencia de respuesta a IBP documentada con anterioridad. 32 El 51% de los pacientes alcanzó la remisión histológica con este esquema, aunque cabe destacar que en la inmensa mayoría (85%) de los pacientes evaluados se mantuvo el co-tratamiento con IBP con la dieta evaluada. 32 Esta limitación metodológica siembra la duda acerca de si no se incluyeron respondedores parciales o lentos a IBP, que respondieron a esta molécula en un segundo tiempo sin influencia de la dieta, o bien pacientes en los que puede haber una sinergia entre tratamientos combinados con dieta e IBP.

442 Acta Gastroenterol
Latinoam 2022;52(4):439-452
Novedades terapéuticas en la esofagitis eosinofílica Javier Molina-Infante y col.

Tabla 2. Resultados de eficacia de las dietas de eliminación empírica progresivas como tratamiento de inducción, con aspectos prácticos a tener en cuenta

Dieta de eliminación empírica de 1 alimento28,32 (proteína de leche de vaca)

Dieta de eliminación empírica de 2 alimentos31 (proteína de leche de vaca y trigo)

Dieta de eliminación empírica de 4 alimentos (proteína de leche de vaca, trigo, huevo, soja y legumbres)29-31

Dieta de eliminación empírica de 6 alimentos (proteína de leche de vaca, trigo, huevo, soja y legumbres, frutos secos, pescado y marisco)27,31

51%* 25%** 44% 40% 60% 46% 73% 71%

*Limitaciones metodológicas de un único estudio prospectivo por el uso concomitante de IBP en 4 de cada 5 pacientes pese a la ausencia previa de respuesta. **Datos indirectos provenientes de estudios de dieta de 2 y 4 alimentos.

Estudio multicéntrico prospectivo que necesita validación externa. En algunas regiones geográficas el huevo puede ser más común que el trigo como 2º causante.

Todos los pacientes tienen 1 o 2 alimentos causantes tras la reintroducciones, por lo que serían buenos candidatos para la dieta como terapia de mantenimiento.

Dieta con elevado nivel de restricción dietética y al menos 4 endoscopias, una por cada reintroducción individual. Las legumbres parecen ser causantes relevantes solo en España, donde se consumen con frecuencia.

El 80% de los pacientes tienen 1 o 2 alimentos causantes tras la reintroducciones, por lo que serían buenos candidatos para la dieta como terapia de mantenimiento.

Dieta con elevadísimo nivel de restricción dietética y al menos 6 endoscopias, una por cada reintroducción individual.

Después del fracaso de las dietas de 1, 2 y 4 alimentos, escalar a una dieta de eliminación empírica de 6 alimentos debe estar reservado para pacientes muy motivados que estén dispuestos a afrontar la eliminación mantenida de 3 o más grupos alimentarios.

Mantenimiento

Una vez identificados los alimentos responsables de la EoE en cada paciente mediante reintroducción individual seguida de endoscopia, la evitación a largo plazo mantiene la remisión de la enfermedad en el 100% de los pacientes que se adhieren de manera firme a la dieta.19 Desafortunadamente, menos del 40% de los pacientes son capaces de mantener un nivel de restricción dietético continuado en el tiempo, evitando alimentos muy ubicuos en las dietas modernas como la leche, el trigo y el huevo.19, 33 Según recientes descripciones, las dietas altamente restrictivas pueden generar desórdenes alimentarios adaptativos, incluido el recientemente descrito trastorno de evitación/ restricción patológica de alimentos.34 Una adecuada selección de pacientes para hacer dieta como tratamiento de inducción y mantenimiento es clave para evitar este tipo de desórdenes psicológicos.

Un avance significativo reciente para el tratamiento de mantenimiento dietético en pacientes con EoE documentada por proteína de leche de vaca es la descripción de la tolerancia a 400 cc diarios de leche esterilizada durante 2 meses (calentada hasta la ebullición durante 2030 minutos) en el 66% de los pacientes, sin síntomas y sin recidiva histológica.35 Este es un primer paso de gran valor hacia una mejoría o normalización dietética y social en los pacientes cuya enfermedad es provocada por el alimento más comúnmente implicado en la EoE, la proteína de leche de vaca.

3. Corticoides deglutidos tópicos Inducción

Diversas revisiones sistemáticas y metaanálisis han demostrado la eficacia de los corticoides tópicos deglutidos

Acta Gastroenterol Latinoam 2022;52(4):439-452

443
Novedades terapéuticas en la esofagitis eosinofílica Javier Molina-Infante y col. Consideraciones prácticas

para inducir la remisión histológica en la EoE.36-38 Sin embargo, los resultados se deben interpretar con cautela por el tamaño muestral bajo y la marcada variabilidad en los criterios de inclusión de los estudios, los fármacos utilizados (fluticasona o budesonida), criterios de remisión histológica (desde < 1 eos/cga a < 15 eos/cga), dosis diarias, duración del tratamiento y modos de aplicación del fármaco. Los resultados de las principales novedades publicadas en los últimos 5 años están esquematizados en la Tabla 3.

Una nueva fórmula de budesonida, administrada en comprimidos efervescentes orodispersables específicamente diseñados para la liberación del fármaco en el esófago (Jorveza ®), tiene hasta la fecha los mejores resultados en términos de remisión histológica (93%) en un plazo de tan sólo seis semanas, en el marco de un ensayo clínico multicéntrico europeo controlado con placebo. 39 Estos resultados han sido recientemente corroborados en un estudio abierto de extensión del ensayo clínico inicial fase 3, con una eficacia similar del 90% en 181 pacientes adultos tras el tratamiento durante 6 semanas. 40 Un reciente ensayo clínico controlado

con placebo ha evaluado la eficacia de una nueva formulación de fluticasona bucodispersable (APT-1011) en varias dosis y horarios de administración durante 12 semanas. 41 Las dosis fraccionadas en la mañana y en la noche obtuvieron los mejores resultados en términos de remisión histológica (1,5 mg/12h (86%), 3 mg/12 h (80%), 3 mg/noche (67%), 1,5 mg/noche (48%). 41 Destaca la elevada presencia de candidiasis esofágica en el grupo de administración fraccionada, especialmente con dosis más altas (40% en el grupo 3 mg/12h). Un estudio procedente del Registro Europeo de Pacientes EoE Connect 42 y un primer ensayo clínico aleatorizado 43 no han podido demostrar diferencias en términos de eficacia (entre 60-75%) entre fluticasona y budesonida, bien líquida o en formulación viscosa. Finalmente, estos resultados subóptimos han sido refrendados en un ensayo clínico aleatorizado con placebo de gran tamaño muestral con una formulación diferente de budesonida, que solo alcanzó una eficacia del 53%, si bien se utilizaron criterios histológicos más estrictos (remisión histológica definida como < 6 eos/cga en vez de < 15 eos/cga). 44

Tabla 3. Datos de eficacia de los corticoides tópicos deglutidos como terapia de inducción de la esofagitis eosinofílica en los últimos 5 años, ordenados de mayor a menor remisión histológica

Autor, Población, Fármaco Dosis y duración Remisión Candidiasis año de Estudio, histológica esofágica publicación Tamaño muestral (< 15 eos/cga)

Lucendo, Adultos Jorveza® 1mg/12 h 93% 5% 201939 ECACP (budesonida 6 semanas 59 bucodispersable)

Miehlke, Adultos Jorveza® 1mg/12 h 90% 8% 202240 Estudio abierto (budesonida 6 semanas prospectivo bucodispersable) 181

Dellon, Adultos

APT-1011

1,5 mg/12 h 86% 18% 202241 ECACP (fluticasona 3 mg/12h 80% 40% 106 bucodispersable) 12 semanas

Laserna-Mendieta, Adultos y niños budesonida 1-4 mg/día 68% 1ª línea202142 Registro de práctica ó clínica fluticasona 500 µg hasta > 1g/día 78% 2ª línea 62 Duración variable

Dellon, Adultos budesonida

1 mg/12 h 71% 12% 201943 ECACP fluticasona 880 µg/12 h 64% 16% 129 8 semanas

Hirano, Adultos y niños budesonida 2 mg/12 h 53% 3.8% 202244 ECACP viscosa 12 semanas (< 6 eos/cga) 318

ECACP: ensayo clínico aleatorizado controlado con placebo.

444 Acta
Gastroenterol Latinoam 2022;52(4):439-452
Novedades terapéuticas en la esofagitis eosinofílica Javier Molina-Infante y col.

Mantenimiento

En pacientes respondedores a corticoides en el período de inducción, la pérdida de respuesta durante el tratamiento de mantenimiento, incluso con la misma dosis utilizada durante la inducción, es la norma en el 25 al 50% de los casos. Los datos más relevantes aparecidos en los últimos 5 años han sido resumidos en la Tabla 4. La eficacia de Jorveza ®, que es el corticoide más eficaz actualmente en el periodo de inducción, disminuye hasta 80% cuando utilizamos durante 48 semanas la misma dosis que durante la inducción (1 mg/12 h), y hasta 75% usando la mitad (0,5 mg/12 h). 45

De igual manera, una formulación específica de solución en gel de budesonida a dosis muy altas (2 mg/12 h) demostró una eficacia del 76% en el tratamiento de mantenimiento. 46 Por último, un reciente estudio en niños ha evidenciado similares resultados, siendo la pérdida de eficacia aún mayor (46%) cuando buscamos reducciones de la dosis diaria hasta alcanzar la dosis mínima eficaz. 47 Es importante reseñar el buen perfil de seguridad de los corticoides tópicos utilizados de manera continua durante 1 año, con efectos secundarios leves y poco comunes, habitualmente candidiasis oral o esofágica (ver Tabla 4).

Tabla 4. Datos de eficacia de los corticoides tópicos deglutidos como terapia de mantenimiento de la esofagitis eosinofílica en los últimos 5 años, ordenados de mayor a menor remisión histológica

Autor, Población, Fármaco Dosis y duración Remisión Candidiasis año de Estudio, histológica esofágica publicación Tamaño muestral (< 15 eos/cga)

Straumann, Adultos Jorveza® 1mg/12 h 80% 17% 202045 ECACP (budesonida 0,5 mg/12h 75% 13% 204 bucodispersable) 48 semanas

Dellon, Adultos budesonida 2 mg/12 h 76% 7/% 202246 ECACP viscosa en 36 semanas 48 suspensión

Oliva, Niños budesonida oral Desescalada de 54% 4% 202147 Observacional viscosa dosis hasta 26 alcanzar la dosis mínima eficaz (0,25 y 0,125 mg/día) 84 semanas

4. Fármacos biológicos

Los fármacos biológicos aparecen en la EoE para dar respuesta a los pacientes refractarios a cualquiera de los tratamientos disponibles. Estos fármacos tratan de controlar la inflamación aberrante Th2 presente en la enfermedad mediante el bloqueo de las principales interleucinas y mediadores inmunológicos implicados (IL-4, IL-5, IL-13, Siglec-8), o bloqueando la migración de los linfocitos hacia los tejidos. Actualmente, los fármacos con ensayos fase 2 completados son cendakimab (anti-IL13) y lirentelimab (anti-Siglec-8), mientras que dupilumab ha completado la fase 3 (anti-IL4).48 De hecho, dupilumab es el primer fármaco aprobado oficialmente en Estados Unidos en Mayo del 2022 para tratar la EoE en adolescentes y adultos, antes que cualquier corticoide tópico. Los resultados de eficacia y seguridad de los principales

ensayos clínicos publicados hasta la fecha se encuentran en la Tabla 5.

Cendakimab (anti-IL13) ha demostrado ser eficaz para reducir el infiltrado inflamatorio eosinofílico por debajo del umbral de diagnóstico de 15 eos/cga en la mitad de los pacientes tratados durante 16 semanas,49 si bien únicamente un 20 a 25% lograron el objetivo primario de < 6 eos/cga. Entre los pacientes respondedores, el tratamiento logró mantener la remisión durante 52 semanas.51 Sin embargo, la mejoría sintomática no fue significativamente superior a la conseguida con placebo. Cabe destacar que en estos 2 estudios consecutivos se incluyó mayoritariamente un perfil de pacientes con una elevada proporción de estenosis esofágica (30%) y de refractariedad previa a los corticoides (47%). Con respecto a dupilumab (anti-IL4), el ensayo clí-

Acta Gastroenterol Latinoam 2022;52(4):439-452

445
Novedades terapéuticas en la esofagitis eosinofílica Javier Molina-Infante y col.

Novedades terapéuticas en la esofagitis eosinofílica Javier Molina-Infante

nico fase 2 evidenció una eficacia superior en términos histológicos (82% de pacientes lograron reducir su inflamación por debajo de 15 eos/cga al cabo de 12 semanas, y un 65% logró < 6 eos/cga), cuando se administró a dosis de 300 mg semanales. El perfil de seguridad fue excelente.50 En un intento de mejorar esta eficacia en la inducción, el ensayo fase 3 extendió la duración de la terapia hasta 24 semanas, a la vez que evaluó una segunda pauta de dupilumab 300 mg administrados cada 2 semanas. Ambas pautas (300 mg cada semana o cada 2 semanas) resultaron igualmente efectivas para inducir la remisión histológica de la EoE (60% de pacientes alcanzaron < 6 eos/cga y 80%

< 15 eos/cga), pero únicamente la administración semanal de dupilumab resultó superior al placebo para resolver los síntomas de la EoE.48 Los datos preliminares (sin publicar aún) parecen evidenciar una eficacia similar en niños pequeños. Además de la ganancia terapéutica, la principal ventaja de dupilumab es su eficacia en otras enfermedades alérgicas graves o mal controladas como la dermatitis atópica, el asma bronquial o la poliposis nasosinusal, por lo que podría ser un fármaco capaz de controlar varias enfermedades alérgicas a la vez. Esto ha quedado demostrado en numerosas publicaciones recientes acerca de la eficacia de dupilumab en la EoE cuando era indicado para otras atopías graves.53-55

Tabla 5. Datos actualizados de eficacia de los fármacos biológicos como terapia de inducción y mantenimiento en la esofagitis eosinofílica

Autor, Fármaco Población, Dosis y duración Remisión Efectos año de Estudio, histológica adversos publicación Tamaño muestral (< 15 eos/cga)

Hirano, cendakimab Adultos 5 mg/kg iv carga Cefalea 17% 201949 (anti-IL13, ECACP Fase 2 360 mg sc/semana 50% inducción) 100 360 mg sc/semana Infecciones (47% refractarios a esteroides, respiratorias 31% estenosis) 16 semanas altas 13%

Hirano, dupilumab Adultos 300 mg sc/semana 82% Eritema zona 202050 (anti IL-4, ECACP Fase 2 12 semanas punción 35% inducción) 47

Nasofaringitis 17%

Dellon, lirentelimab Adultos con Dosis baja 93% Reacciones 202051 (anti Siglec-8, gastroenteritis eosinofílica Dosis alta (13/14 pacientes leves moderadas inducción) ECACP Fase 2 Infusiones intravenosas con EoE relacionadas con 65 12 semanas concomitante) la infusión intravenosa (60%)

Dellon, cendakimab Adultos 360 mg sc/semana 53% Infecciones 202152 (anti-IL13, Extensión del ensayo 52 semanas respiratorias mantenimiento) clínico Fase 2 altas 21% 86

Nasofaringitis 14%

Lirentelimab (anti-Siglec-8) es un fármaco destinado a generar una apoptosis precoz de los mastocitos y los eosinófilos cuando actúa en un entorno humoral de tipo Th2. Este nuevo fármaco es el primer biológico que ha demostrado una altísima eficacia clínica e histológica en pacientes adultos con gastritis y enteritis eosinofilicas.51 Entre los pacientes reclutados, 14 del grupo asignado a tratamiento activo presentaban EoE concomitante, y 13 de ellos (93%) alcanzaron también respuesta histológica con lirentelimab. De igual manera que el dupilumab,

Acta Gastroenterol Latinoam 2022;52(4):439-452

este fármaco podría constituir una excelente alternativa para la EoE cuando existe una enfermedad hipereosinofilica digestiva o extradigestiva concomitante. Ya ha sido completado un ensayo de lirentelimab realizado específicamente en pacientes con EoE, pero sus resultados aún aguardan a ser publicados. En todo caso, son necesarios estudios a largo plazo para determinar la eficacia y principalmente la seguridad de este prometedor fármaco.

Finalmente, existen estudios con otras moléculas en pacientes con EoE. Hace una década tres ensayos clínicos

446
y col.

con los anticuerpos dirigidos a bloquear IL-5 con mepolizumab y reslizumab evidenciaron una falta de eficacia para mejorar significativamente los síntomas o la inflamación esofágica de la EoE en niños y adultos.56-58 Sin embargo, el interés terapéutico por bloquear la vía de IL-5 ha resurgido con el desarrollo de benralizumab, un nuevo anticuerpo esta vez dirigido a bloquear el receptor de IL-5Rα, en lugar de la citoquina soluble. Benralizumab ya ha sido aprobado para tratar el asma eosinofílica en adolescentes y adultos.59 Un ensayo fase 3 recién finalizado (no publicado aún) ha demostrado la superioridad de benralizumab frente a placebo para inducir la remisión histológica de la EoE; sin embargo, no se pudo demostrar que este fármaco resultara superior al placebo para controlar los síntomas. Finalmente, tezepelumab, un anticuerpo dirigido a la linfopoyetina estromal tímica, evaluado y aprobado como co-terapia en asma bronquial de difícil control, será evaluado próximamente en la EoE.60 Los fármacos orales ofrecen una administración y conservación más sencilla que los biológicos. Entre ellos, etrasimod, un antagonista de los receptores de esfingosina 1-fosfato que está en estudio en otras enfermedades inflamatorias e inmunomediadas, está siendo estudiado en pacientes adultos con EoE mediante un ensayo fase 2.60

5. Dilatación endoscópica

La dilatación con balones, bujías o dilatadores rígidos es el único tratamiento endoscópico disponible para la EoE, con una eficacia muy marcada en términos de mejoría sintomática (disfagia e impactación alimentaria), pero sin efecto sobre la inflamación subyacente. El más reciente metaanálisis publicado en 2017, que incluía 27 estudios observacionales (845 pacientes y 1820 dilataciones esofágicas), demostró una mejoría sintomática en el 95% de los pacientes tras la dilatación endoscópica (IC 95% 90%-98), siendo infrecuentes las complicaciones, como perforación (0,38% de los casos), hemorragia (0,05%) y hospitalización (0,67%), sin mortalidad alguna reportada.61 Dos artículos recientes desarrollados por el mismo grupo han mostrado que la disociación entre los síntomas y la actividad histológica, común tras cualquier tratamiento en pacientes en la EoE, puede ser anulada tras la dilatación esofágica.62,63 Esto apuntaría a que las alteraciones fibroestenóticas persistentes (incluso con un paso del endoscopio convencional sin resistencia aparente) podrían justificar esta disociación. Un documento de consenso internacional sobre el manejo endoscópico de la EoE, publicado en 2022, ha establecido un objetivo de calibre de referencia para aliviar la disfagia en adolescentes y adultos con EoE de 16 mm.64 Para alcanzar este calibre, la mayoría de los pacientes necesitarán más de una

sesión de dilatación. Se recomienda el uso concomitante de medicación antiinflamatoria (que puede incluso mejorar o hacer desaparecer la estenosis), si bien parece seguro realizar una dilatación endoscópica sobre un esófago con inflamación residual no controlada.

6. Incertidumbres terapéuticas para la EoE

De considerarse una enfermedad huérfana de tratamientos específicos y poco interesante para la industria farmacéutica hace poco más de una década, la EoE se ha convertido en muy poco tiempo en una de las áreas de desarrollo farmacológico más activas en la gastroenterología y la alergología. La explosión epidemiológica que ha experimentado la EoE, con un crecimiento continuo en el número de casos, especialmente en la última década, su distribución en todos los continentes, su carácter crónico y las limitaciones en la eficacia de muchas alternativas terapéuticas han abierto un mercado potencial para nuevos fármacos, que con frecuencia son importados desde otras enfermedades inflamatorias o inmunomediadas. La creciente inversión económica en la EoE ha motivado un cierto desinterés científico hacia las opciones terapéuticas vigentes y efectivas, incluyendo los IBP (cuya eficacia a dosis dobles está bien demostrada en la mitad de los pacientes con EoE, según muestran estudios observacionales e incluso pequeños ensayos clínicos aleatorizados),65,66 las dietas de eliminación (con una eficacia entre 42-75%, y que si bien son difíciles de llevar a cabo a largo plazo, en los últimos años han sido objeto de escasísima investigación) y los corticoides convencionales de baja biodisponibilidad, generalmente usados fuera de ficha técnica (fluticasona, budesonida), y con una eficacia dependiente de la capacidad del vehículo en que se administran para llegar a la mucosa esofágica. De hecho, cabe destacar que las nuevas formulaciones dirigidas a alcanzar la mucosa esofágica proporcionan tasas de remisión clínica e histológica superiores a cualquier fármaco biológico, y sugieren que los comprimidos bucodispersables, en los que la saliva disuelve el fármaco que se adhiere a la mucosa esofágica por su capacidad muco-adhesiva, representan el vehículo ideal para el tratamiento tópico de la EoE. Además de Jorveza® (budesonida orodispersable),67 pronto podríamos tener disponible un nuevo comprimido de fluticasona orodispersable con eficacia comparable (APT1011),41 y EsoCap, un nuevo dispositivo basado en una cinta adhesiva desplegable a lo largo del esófago impregnada en mometasona, actualmente en estudio.60 Cuando estas opciones no están disponibles, las formulaciones viscosas de budesonida serían la segunda alternativa. Sin embargo, no deberían utilizarse aplicaciones de corticoides tópicos liberados desde los sistemas de inhalación por

Acta Gastroenterol Latinoam 2022;52(4):439-452

447
Novedades terapéuticas en la esofagitis eosinofílica Javier Molina-Infante y col.

su limitada eficacia, derivada de su escasa capacidad para proporcionar una dosis adecuada de medicación en el esófago. Ninguno de estos fármacos modifica la capacidad de respuesta sistémica del sistema inmune, ni plantearía problemas de inmunogenicidad con el uso a largo plazo.68 Los fármacos biológicos dirigidos contra la inflamación Th2 tienen menos efectos secundarios reportados, pero muchos son medicamentos nuevos y emergentes cuyos efectos adversos pueden materializarse con un uso más extenso, por lo que se requiere una monitorización de su seguridad a largo plazo.69

En cualquier caso, las nuevas terapias biológicas en in-

vestigación para la EoE deben considerarse como alternativas convenientes para pacientes que también sufren de asma bronquial, poliposis nasal persistente o dermatitis atópica de difícil control, que podrían beneficiarse de un único tratamiento capaz de controlar simultáneamente varias enfermedades. Mientras que los tratamientos efectivos con dietas, corticoides tópicos, e incluso IBP han demostrado su capacidad para revertir la remodelación fibrosa asociada a la EoE, este efecto aún no ha sido demostrado para ningún fármaco biológico. La Tabla 6 resume la eficacia de los diferentes fármacos biológicos para distintas enfermedades alérgicas.

Tabla 6. Eficacia potencial de los diferentes fármacos biológicos en desarrollo para el tratamiento de la EoE y para tratar diferentes enfermedades inmunoalérgicas concomitantes

Dupilumab IL-4Ra √ √ √ √ ?

Benralizumab IL-5Ra ? √ √ √ ?

Cendakimab IL-13Ra1 y a2 √ X ? X ?

Lirentelimab Siglec-8 √ X ? X √

Tezepelumab TSLP ? √ ? ? ?

IL-4Ra: cadena alfa del receptor de interleucina-4; IL-5Ra: cadena alfa del receptor de interleucina-5; IL13Ra1 y 2: cadenas a1 y a2 del receptor de interleucina-13; Siglec-8: lectina de tipo inmunoglobulina fijadora de ácido siálico-8; TSLP: Linfopoyetina tímica del estroma; √: efectos potencialmente beneficiosos; X: descartado un efecto potencialmente beneficioso; ?: efecto en estudio/desconocido.

El costo del tratamiento de la EoE aún no se ha abordado adecuadamente, pero estudios iniciales han demostrado que triplicaría el de los controles en la misma franja de edad.70 En el caso de la EoE pediátrica, un estudio en Estados Unidos ha mostrado que su costo asistencial superaría al de la enfermedad celiaca e incluso a la enfermedad de Crohn.71 Estos costos derivan principalmente de las visitas frecuentes al médico, los retrasos en el diagnóstico, la necesidad de endoscopias digestivas altas con biopsias para diagnóstico y seguimiento de la actividad de la enfermedad, y de los medicamentos que actualmente se usan fuera de la indicación oficial en muchos entornos.72

Las terapias más caras podrían aumentar aún más los costos de la EoE para las compañías de seguros y los sistemas de salud, dificultando la financiación de nuevas terapias. Hasta la fecha, los estudios de costo-efectividad para la EoE son muy escasos,73 pero representan en el contexto actual, con la aparición de los nuevos fármacos biológicos, una prioridad absoluta.

Es importante resaltar que no se ha explorado ade-

Acta Gastroenterol Latinoam 2022;52(4):439-452

cuadamente aún el papel de las combinaciones terapéuticas (IBP más corticoides, corticoides más dieta, etc.) en pacientes que responden parcialmente a tratamientos únicos, tanto para el tratamiento de inducción como de mantenimiento de la enfermedad. Tampoco se ha evaluado hasta ahora la posibilidad de alternar opciones terapéuticas en diferentes estadios de la enfermedad, como ocurre en otras enfermedades inflamatorias gastrointestinales crónicas. Estudios recientes han demostrado la existencia de diferentes endotipos de EoE, caracterizados por diferencias en la actividad inflamatoria, la intensidad de los síntomas, los cambios en la expresión génica en la mucosa del esófago y la tendencia a desarrollar fibrosis y estenosis.74, 75 Los pacientes con las formas más leves de EoE podrían beneficiarse, potencialmente, de una terapia de mantenimiento intermitente o a demanda, un aspecto que aún debe ser evaluado minuciosamente. En los próximos años las agencias reguladoras deberán considerar la aprobación y financiación de varios medicamentos para tratar la EoE, además de la budesonida bucodispersable

448
Novedades terapéuticas en la esofagitis eosinofílica Javier Molina-Infante y col. Diana EoE Asma Dermatitis Poliposis Gastritis o bronquial atópica nasosinusal gastroenteritis eosinofílica

Novedades terapéuticas en la esofagitis eosinofílica

ya disponible en la mayor parte de Europa y de dupilumab en Estados Unidos. Su incorporación a la práctica clínica dependerá en gran medida de los costos para los sistemas sanitarios y de una adecuada selección de los perfiles de pacientes candidatos a cada terapia, tanto en inducción como en mantenimiento.

4. Straumann A, Spichtin HP, Bernoulli R, Loosli J, Vögtlin J. [Idiopathic eosinophilic esophagitis: a frequently overlooked disease with typical clinical aspects and discrete endoscopic findings]. Schweiz Med Wochenschr 1994;124:1419-29.

5. Navarro P, Arias Á, Arias-González L, Laserna-Mendieta EJ, Ruiz-Ponce M, Lucendo AJ. Systematic review with meta-analysis: the growing incidence and prevalence of eosinophilic oesophagitis in children and adults in population-based studies. Aliment Pharmacol Ther 2019;49:1116-1125.

Propiedad intelectual. Los autores declaran que los datos y las tablas presentes en el manuscrito son originales y se realizaron en sus instituciones pertenecientes.

Financiamiento. Los autores declaran que no hubo fuentes de financiación externas.

Conflicto de interés. Los autores declaran no tener conflictos de interés en relación con este artículo.

6. Molina-Infante J, Gonzalez-Cordero PL, Ferreira-Nossa HC, Mata-Romero P, Lucendo AJ, Arias A. Rising incidence and prevalence of adult eosinophilic esophagitis in midwestern Spain (2007-2016). United European Gastroenterol J 2018;6:29-37.

7. Arias Á, Lucendo AJ. Incidence and prevalence of eosinophilic oesophagitis increase continiously in adults and children in Central Spain: A 12-year population-based study. Dig Liver Dis 2019;51:55-62.

8. Robson J, O'Gorman M, McClain A, Mutyala K, Davis C, Barbagelata C, Wheeler J, Firszt R, Smith K, Patel R, Peterson K, Lowichik A, Guthery S. Incidence and Prevalence of Pediatric Eosinophilic Esophagitis in Utah Based on a 5-Year Population-Based Study. Clin Gastroenterol Hepatol 2019;17:107-114.e1.

Aviso de derechos de autor © 2022 Acta Gastroenterológica Latinoamericana. Este es un artículo de acceso abierto publicado bajo los términos de la Licencia Creative Commons Attribution (CC BY-NC-SA 4.0), la cual permite el uso, la distribución y la reproducción de forma no comercial, siempre que se cite al autor y la fuente original

Cite este artículo como: Molina-Infante Javier, Lucendo Alfredo J. Novedades terapéuticas en la esofagitis eosinofílica . Acta Gastroenterol Latinoam. 2022;52(4): 439452 . https://doi.org/10.52787/agl.v52i4.270

Referencias

1. Lucendo AJ, Molina-Infante J, Arias Á, von Arnim U, Bredenoord AJ, Bussmann C, Amil Dias J, Bove M, González-Cervera J, Larsson H, Miehlke S, Papadopoulou A, Rodríguez-Sánchez J, Ravelli A, Ronkainen J, Santander C, Schoepfer AM, Storr MA, Terreehorst I, Straumann A, Attwood SE. Guidelines on eosinophilic esophagitis: evidence-based statements and recommendations for diagnosis and management in children and adults. United European Gastroenterol J 2017;5:335-58.

2. Simon D, Cianferoni A, Spergel JM, Aceves S, Holbreich M, Venter C, Rothenberg ME, Terreehorst I, Muraro A, Lucendo AJ, Schoepfer A, Straumann A, Simon HU. Eosinophilic esophagitis is characterized by a non-IgE-mediated food hypersensitivity. Allergy 2016;71:611-20.

3. Attwood SE, Smyrk TC, Demeester TR, Jones JB. Esophageal eosinophilia with dysphagia. A distinct clinicopathologic syndrome. Dig Dis Sci 1993;38:109-16.

9. Pierre R, Vieira M, Vázquez R, Ninomiya I, Messere G, Daza W, Dadan S, Higuera M, Sifontes L, Harris P, Gana JC, Rodríguez M, Vasquez M, González M, Rivera J, Gonzales J, Angulo D, Cetraro MD, Del Compare M, López K, Navarro D, Calva R, Wagener M, Zablah R, Carias A, Calderón O, Vera-Chamorro JF, Toca MC, Dewaele MR, Iglesias C, Delgado L, León K, Hassan I, Ussher F, Follett F, Bernedo V, Grinblat V, Agüero N, Oviedo C, García AG, Salazar A, Coello P, Furnes R, Menchaca M, Fernández M, Khoury A, Rojo C, Fernández S, Morao C. Prevalence of eosinophilic esophagitis: A multicenter study on a pediatric population evaluated at thirty-six Latin American gastroenterology centers. Rev Gastroenterol Mex (Engl Ed). 2019;84:427-433.

10. Molina-Infante J, Ferrando-Lamana L, Ripoll C, Hernandez-Alonso M, Mateos JM, Fernandez-Bermejo M, Dueñas C, Fernandez-Gonzalez N, Quintana EM, Gonzalez-Nuñez MA. Esophageal eosinophilic infiltration responds to proton pump inhibition in most adults. Clin Gastroenterol Hepatol 2011;9:110-7.

11. Gutiérrez-Junquera C, Fernández-Fernández S, Cilleruelo ML, Rayo A, Echeverría L, Quevedo S, Bracamonte T, Román E. High Prevalence of Response to Proton-pump Inhibitor Treatment in Children With Esophageal Eosinophilia. J Pediatr Gastroenterol Nutr 2016;62:704-10.

12. Lucendo AJ, Arias Á, Molina-Infante J. Efficacy of Proton Pump Inhibitor Drugs for Inducing Clinical and Histologic Remission in Patients With Symptomatic Esophageal Eosinophilia: A Systematic Review and Meta-Analysis. Clin Gastroenterol Hepatol 2016;14:13-22.e1.

13. Laserna-Mendieta EJ, Casabona S, Guagnozzi D, Savarino E, Perelló A, Guardiola-Arévalo A, Barrio J, Pérez-Martínez I, Lund Krarup A, Alcedo J, de la Riva S, Rey-Iborra E, Santander C, Arias Á, Lucendo AJ; EUREOS EoE CONNECT Research group. Efficacy of proton pump inhibitor therapy for eosinophilic oesophagitis in 630 patients: results from the EoE connect registry. Aliment Pharmacol Ther 2020;52:798-807.

14. Navarro P, Laserna-Mendieta EJ, Guagnozzi D, Casabona S, Perelló A, Savarino E, et al. Proton pump inhibitor therapy reverses endoscopic features of fibrosis in eosinophilic esophagitis. Dig Liver Dis 2021;53(11):1479-1485.

Acta Gastroenterol Latinoam 2022;52(4):439-452

449
Javier Molina-Infante y col.

la

15. Molina-Infante J, Rodriguez-Sanchez J, Martinek J, van Rhijn BD, Krajciova J, Rivas MD, Barrio J, Moawad FJ, Martinez-Alcalá C, Bredenoord AJ, Zamorano J, Dellon ES. Long-Term Loss of Response in Proton Pump Inhibitor-Responsive Esophageal Eosinophilia Is Uncommon and Influenced by CYP2C19 Genotype and Rhinoconjunctivitis. Am J Gastroenterol 2015;110:1567-75.

16. Gómez-Torrijos E, García-Rodríguez R, Castro-Jiménez A, Rodríguez-Sanchez J, Méndez Díaz Y, Molina-Infante J. The efficacy of step-down therapy in adult patients with proton pump inhibitor-responsive oesophageal eosinophilia. Aliment Pharmacol Ther 2016;43:534-40.

17. Gutiérrez-Junquera C, Fernández-Fernández S, Cilleruelo ML, Rayo A, Echeverría L, Borrell B, Román E. Long-term Treatment With Proton Pump Inhibitors Is Effective in Children With Eosinophilic Esophagitis. J Pediatr Gastroenterol Nutr 2018;67:210-216.

18. Thakkar KP, Fowler M, Keene S, Iuga A, Dellon ES. Long-term efficacy of proton pump inhibitors as a treatment modality for eosinophilic esophagitis. Dig Liver Dis 2022;54:1179-1185.

19. Lucendo AJ, Molina-Infante J. Current treatment options and long-term outcomes in patients with eosinophilic esophagitis. Expert Rev Clin Immunol 2022;18:859-872.

20. Abdel-Aziz Y, Metz DC, Howden CW. Review article: potassium-competitive acid blockers for the treatment of acid-related disorders. Aliment Pharmacol Ther 2021;53:794-809.

21. Ishimura N, Ishihara S, Kinoshita Y. Sustained Acid Suppression by Potassium-Competitive Acid Blocker (P-CAB) May Be An Attractive Treatment Candidate for Patients with Eosinophilic Esophagitis. Am J Gastroenterol 2016;111:1203-4.

22. Kuzumoto T, Tanaka F, Sawada A, Nadatani Y, Otani K, Hosomi S, Kamata N, Taira K, Nagami Y, Tanigawa T, Watanabe T, Fujiwara Y. Vonoprazan shows efficacy similar to that of proton pump inhibitors with respect to symptomatic, endoscopic, and histological responses in patients with eosinophilic esophagitis. Esophagus 2021;18:372-379.

23. Franciosi JP, Mougey EB, Dellon ES, Gutierrez-Junquera C, Fernandez-Fernandez S, Venkatesh RD, Gupta SK. Proton Pump Inhibitor Therapy for Eosinophilic Esophagitis: History, Mechanisms, Efficacy, and Future Directions. J Asthma Allergy 2022;15:281-302.

24. Cheng E, Zhang X, Huo X, Yu C, Zhang Q, Wang DH, Spechler SJ, Souza RF. Omeprazole blocks eotaxin-3 expression by oesophageal squamous cells from patients with eosinophilic oesophagitis and GORD. Gut 2013;62:824-32.

25. Odiase E, Zhang X, Chang Y, Nelson M, Balaji U, Gu J, Zhang Q, Pan Z, Spechler SJ, Souza RF. In Esophageal Squamous Cells From Eosinophilic Esophagitis Patients, Th2 Cytokines Increase Eotaxin-3 Secretion Through Effects on Intracellular Calcium and a Non-Gastric Proton Pump. Gastroenterology 2021;160:20722088.e6.

26. Arias Á, González-Cervera J, Tenias JM, Lucendo AJ. Efficacy of dietary interventions for inducing histologic remission in patients with eosinophilic esophagitis: A systematic review and meta-analysis. Gastroenterology 2014;146:1639-48.

27. Lucendo AJ, Arias Á, González-Cervera J, Yagüe-Compadre JL, Guagnozzi D, Angueira T, Jiménez-Contreras S, González-Castillo S, Rodríguez-Domíngez B, De Rezende LC, Tenias JM. Empiric 6-food elimination diet induced and maintained prolonged remission in patients with adult eosinophilic esophagitis: a prospective study on the food cause of the disease. J Allergy Clin Immunol 2013;131:797-804.

Acta Gastroenterol Latinoam 2022;52(4):439-452

28. Molina-Infante J, Lucendo AJ. Dietary therapy for eosinophilic esophagitis. J Allergy Clin Immunol 2018;142:41-47.

29. Molina-Infante J, Arias A, Barrio J, Rodríguez-Sánchez J, Sanchez-Cazalilla M, Lucendo AJ. Four-food group elimination diet for adult eosinophilic esophagitis: A prospective multicenter study. J Allergy Clin Immunol 2014;134:1093-9.

30. Kagalwalla AF, Wechsler JB, Amsden K, Schwartz S, Makhija M, Olive A, Davis CM, Manuel-Rubio M, Marcus S, Shaykin R, Sulkowski M, Johnson K, Ross JN, Riffle ME, Groetch M, Melin-Aldana H, Schady D, Palac H, Kim KA, Wershil BK, Collins MH, Chehade M. Efficacy of a 4-Food Elimination Diet for Children With Eosinophilic Esophagitis. Clin Gastroenterol Hepatol 2017;15:1698-1707.e7.

31. Molina-Infante J, Arias Á, Alcedo J, Garcia-Romero R, Casabona-Frances S, Prieto-Garcia A, Modolell I, Gonzalez-Cordero PL, Perez-Martinez I, Martin-Lorente JL, Guarner-Argente C, Masiques ML, Vila-Miravet V, Garcia-Puig R, Savarino E, Sanchez-Vegazo CT, Santander C, Lucendo AJ. Step-up empiric elimination diet for pediatric and adult eosinophilic esophagitis: The 2-4-6 study. J Allergy Clin Immunol 2018;141:1365-1372.

32. Wechsler JB, Schwartz S, Arva NC, Kim KA, Chen L, Makhija M, Amsden K, Keeley K, Mohammed S, Dellon ES, Kagalwalla AF. A Single-Food Milk Elimination Diet Is Effective for Treatment of Eosinophilic Esophagitis in Children. Clin Gastroenterol Hepatol 2022;20:1748-1756.e11.

33. Chang JW, Haller E, Dellon ES. Dietary Management of Eosinophilic Esophagitis: Man Versus Food or Food Versus Man?. Gastroenterol Clin North Am 2021;50:59-75.

34. Molina-Infante J. Nutritional and Psychological Considerations for Dietary Therapy in Eosinophilic Esophagitis. Nutrients 2022;14:1588.

35. González-Cervera J, Arias Á, Navarro P, Juárez-Tosina R, Cobo-Palacios M, Olalla JM, Angueira-Lapeña T, Lucendo AJ. Tolerance to sterilised cow's milk in patients with eosinophilic oesophagitis triggered by milk. Aliment Pharmacol Ther 2022;56:957-967.

36. Hao LX, Lu Y, Li T, Gong B. A meta-analysis of efficacy of topical steroids in eosinophilic esophagitis: From the perspective of histologic, clinical, and endoscopic outcome. Gastroenterol Hepatol 2021;44:251-260.

37. Munoz-Osores E, Maldonado-Campos I, Olivares-Labbe MT, Villarroel L, Gana JC. Corticosteroids for Eosinophilic Esophagitis in Children: A Meta-analysis. Pediatrics 2020;146(5):e20200874.

38. de Heer J, Miehlke S, Rösch T, Morgner A, Werner Y, Ehlken H, Becher H, Aigner A. Histologic and Clinical Effects of Different Topical Corticosteroids for Eosinophilic Esophagitis: Lessons from an Updated Meta-Analysis of Placebo-Controlled Randomized Trials. Digestion 2021;102:377-385.

39. Lucendo AJ, Miehlke S, Schlag C, Vieth M, von Arnim U, Molina-Infante J, Hartmann D, Bredenoord AJ, Ciriza de Los Rios C, Schubert S, Brückner S, Madisch A, Hayat J, Tack J, Attwood S, Mueller R, Greinwald R, Schoepfer A, Straumann A; International EOS-1 Study Group. Efficacy of Budesonide Orodispersible Tablets as Induction Therapy for Eosinophilic Esophagitis in a Randomized Placebo-Controlled Trial. Gastroenterology 2019;157:74-86.e15.

450
Novedades terapéuticas en esofagitis eosinofílica Javier Molina-Infante y col.

Novedades terapéuticas en la esofagitis eosinofílica

40. Miehlke S, Schlag C, Lucendo AJ, Biedermann L, Vaquero CS, Schmoecker C, Hayat J, Hruz P, Ciriza de Los Rios C, Bredenoord AJ, Vieth M, Schoepfer A, Attwood S, Mueller R, Burrack S, Greinwald R, Straumann A; International EOS-2 Study Group. Budesonide orodispersible tablets for induction of remission in patients with active eosinophilic oesophagitis: A 6-week open-label trial of the EOS-2 Programme. United European Gastroenterol J 2022;10:330-343.

41. Dellon ES, Lucendo AJ, Schlag C, Schoepfer AM, Falk GW, Eagle G, Nezamis J, Comer GM, Knoop K, Hirano I. Fluticasone Propionate Orally Disintegrating Tablet (APT-1011) for Eosinophilic Esophagitis: Randomized Controlled Trial. Clin Gastroenterol Hepatol. 2022 Feb 16:S1542-3565(22)00139-2.

42. Laserna-Mendieta EJ, Casabona S, Savarino E, Perelló A, PérezMartínez I, Guagnozzi D, Barrio J, Guardiola A, Asensio T, de la Riva S, Ruiz-Ponce M, Rodríguez-Oballe JA, Santander C, Arias Á, Lucendo AJ; EUREOS EoE CONNECT research group. Efficacy of Therapy for Eosinophilic Esophagitis in Real-World Practice. Clin Gastroenterol Hepatol 2020;18:29032911.e4.

43. Dellon ES, Woosley JT, Arrington A, McGee SJ, Covington J, Moist SE, Gebhart JH, Tylicki AE, Shoyoye SO, Martin CF, Galanko JA, Baron JA, Shaheen NJ. Efficacy of Budesonide vs Fluticasone for Initial Treatment of Eosinophilic Esophagitis in a Randomized Controlled Trial. Gastroenterology 2019;157:6573.e5.

44. Hirano I, Collins MH, Katzka DA, Mukkada VA, Falk GW, Morey R, Desai NK, Lan L, Williams J, Dellon ES; ORBIT1/ SHP621-301 Investigators. Budesonide Oral Suspension Improves Outcomes in Patients With Eosinophilic Esophagitis: Results from a Phase 3 Trial. Clin Gastroenterol Hepatol 2022;20:525-534.e10.

45. Straumann A, Lucendo AJ, Miehlke S, Vieth M, Schlag C, Biedermann L, Vaquero CS, Ciriza de Los Rios C, Schmoecker C, Madisch A, Hruz P, Hayat J, von Arnim U, Bredenoord AJ, Schubert S, Mueller R, Greinwald R, Schoepfer A, Attwood S; International EOS-2 Study Group. Budesonide Orodispersible Tablets Maintain Remission in a Randomized, Placebo-Controlled Trial of Patients With Eosinophilic Esophagitis. Gastroenterology 2020;159:1672-1685.e5.

46. Dellon ES, Katzka DA, Collins MH, Gupta SK, Lan L, Williams J, Hirano I. Safety and Efficacy of Budesonide Oral Suspension Maintenance Therapy in Patients With Eosinophilic Esophagitis. Clin Gastroenterol Hepatol 2019;17:666-673.e8.

47. Oliva S, Volpe D, Russo G, Veraldi S, Papoff P, Giordano C, Ruggiero C, Trovato CM, Terrin G, Rossetti D. Maintenance Therapy With the Lowest Effective Dose of Oral Viscous Budesonide in Children With Eosinophilic Esophagitis. Clin Gastroenterol Hepatol 2021 20:S1542-3565(21)01034-X.

48. Dellon ES, Rothenberg ME, Collins MH, Hirano I, Chehade M, Bredenoord AJ, et al. Dupilumab in Adult and Adolescent Patients With Eosinophilic Esophagitis 2022 (in press).

49. Hirano I, Collins MH, Assouline-Dayan Y, Evans L, Gupta S, Schoepfer AM, Straumann A, Safroneeva E, Grimm M, Smith H, Tompkins CA, Woo A, Peach R, Frohna P, Gujrathi S, Penenberg DN, Li C, Opiteck GJ, Olson A, Aranda R, Rothenberg ME, Dellon ES; HEROES Study Group. RPC4046, a Monoclonal Antibody Against IL13, Reduces Histologic and Endoscopic Activity in Patients With Eosinophilic Esophagitis. Gastroenterology 2019;156:592-603.e10.

50. Hirano I, Dellon ES, Hamilton JD, Collins MH, Peterson K, Chehade M, Schoepfer AM, Safroneeva E, Rothenberg ME, Falk GW, Assouline-Dayan Y, Zhao Q, Chen Z, Swanson BN, Pirozzi G, Mannent L, Graham NMH, Akinlade B, Stahl N, Yancopoulos GD, Radin A. Efficacy of Dupilumab in a Phase 2 Randomized Trial of Adults With Active Eosinophilic Esophagitis. Gastroenterology 2020;158:111-122.e10.

51. Dellon ES, Peterson KA, Murray JA, Falk GW, Gonsalves N, Chehade M, Genta RM, Leung J, Khoury P, Klion AD, Hazan S, Vaezi M, Bledsoe AC, Durrani SR, Wang C, Shaw C, Chang AT, Singh B, Kamboj AP, Rasmussen HS, Rothenberg ME, Hirano I. Anti-Siglec-8 Antibody for Eosinophilic Gastritis and Duodenitis. N Engl J Med 2020;383:1624-1634.

52. Dellon ES, Collins MH, Rothenberg ME, Assouline-Dayan Y, Evans L, Gupta S, Schoepfer A, Straumann A, Safroneeva E, Rodriguez C, Minton N, Hua SY, Hirano I. Long-term Efficacy and Tolerability of RPC4046 in an Open-Label Extension Trial of Patients With Eosinophilic Esophagitis. Clin Gastroenterol Hepatol. 2021;19:473-483.e17.

53. Spergel BL, Ruffner MA, Godwin BC, Liacouras CA, Cianferoni A, Gober L, Hill DA, Brown-Whitehorn TF, Chaiboonma K, Aceves SA, Muir AM, Spergel JM. Improvement in eosinophilic esophagitis when using dupilumab for other indications or compassionate use. Ann Allergy Asthma Immunol 2022;128:589-593.

54. Dixit C, Thatayatikom A, Pappa H, Knutsen AP. Treatment of severe atopic dermatitis and eosinophilic esophagitis with dupilumab in a 14-year-old boy with autosomal dominant hyper-IgE síndrome. J Allergy Clin Immunol Pract 2021;9:4167-4169.

55. Bawany F, Franco AI, Beck LA. Dupilumab: One therapy to treat multiple atopic diseases. JAAD Case Rep 2020;6:1150-1152.

56. Straumann A, Conus S, Grzonka P, Kita H, Kephart G, Bussmann C, Beglinger C, Smith DA, Patel J, Byrne M, Simon HU. Anti-interleukin-5 antibody treatment (mepolizumab) in active eosinophilic oesophagitis: a randomised, placebo-controlled, double-blind trial. Gut 2010;59:21-30.

57. Assa'ad AH, Gupta SK, Collins MH, Thomson M, Heath AT, Smith DA, Perschy TL, Jurgensen CH, Ortega HG, Aceves SS. An antibody against IL-5 reduces numbers of esophageal intraepithelial eosinophils in children with eosinophilic esophagitis. Gastroenterology 2011;141:1593-604

58. Spergel JM, Rothenberg ME, Collins MH, Furuta GT, Markowitz JE, Fuchs G 3rd, O'Gorman MA, Abonia JP, Young J, Henkel T, Wilkins HJ, Liacouras CA. Reslizumab in children and adolescents with eosinophilic esophagitis: results of a double-blind, randomized, placebo-controlled trial. J Allergy Clin Immunol 2012;129:456-63.

59. Massey OW, Suphioglu C. Taking a Breather: Advances in Interleukin 5 Inhibition for Asthma Relief. Int J Mol Sci 2022;23:11166.

60. Tamarit-Sebastian S, Ferrer-Soler FM, Lucendo AJ. Current options and investigational drugs for the treatment of eosinophilic esophagitis. Expert Opin Investig Drugs 2022;31:193-210.

61. Moawad FJ, Molina-Infante J, Lucendo AJ, Cantrell SE, Tmanova L, Douglas KM. Systematic review with meta-analysis: Endoscopic dilation is highly effective and safe in children and adults with eosinophilic oesophagitis. Aliment Pharmacol Ther 2017;4696-105.

62. Safroneeva E, Cotton CC, Schoepfer AM, Zwahlen M, Woosley JT, Dellon ES. Dilation Modifies Association Between Symptoms and Esophageal Eosinophilia in Adult Patients With Eosinophilic Esophagitis. Am J Gastroenterol 2020;115:2098-2102.

Acta Gastroenterol Latinoam 2022;52(4):439-452

451
Javier Molina-Infante y col.

Novedades terapéuticas en la esofagitis eosinofílica Javier Molina-Infante y col.

63. Safroneeva E, Pan Z, King E, Martin LJ, Collins MH, Yang GY, Capocelli KE, Arva NC, Abonia JP, Atkins D, Bonis PA, Dellon ES, Falk GW, Gonsalves N, Gupta SK, Hirano I, Leung J, Menard-Katcher PA, Mukkada VA, Schoepfer AM, Spergel JM, Wershil BK, Rothenberg ME, Aceves SS, Furuta GT; Consortium of Eosinophilic Gastrointestinal Disease Researchers. Long-Lasting Dissociation of Esophageal Eosinophilia and Symptoms After Dilation in Adults With Eosinophilic Esophagitis. Clin Gastroenterol Hepatol 2022;20:766-775.e4.

64. Aceves SS, Alexander JA, Baron TH, Bredenoord AJ, Day L, Dellon ES, Falk GW, Furuta GT, Gonsalves N, Hirano I, Konda VJA, Lucendo AJ, Moawad F, Peterson KA, Putnam PE, Richter J, Schoepfer AM, Straumann A, McBride DL, Sharma P, Katzka DA. Endoscopic approach to eosinophilic esophagitis: American Society for Gastrointestinal Endoscopy Consensus Conference. Gastrointest Endosc. 2022;96:576-592.e1.

65. Peterson KA, Thomas KL, Hilden K, Emerson LL, Wills JC, Fang JC. Comparison of esomeprazole to aerosolized, swallowed fluticasone for eosinophilic esophagitis. Dig Dis Sci 2010;55:1313-9.

66. Moawad FJ, Veerappan GR, Dias JA, Baker TP, Maydonovitch CL, Wong RKH. Randomized controlled trial comparing aerosolized swallowed fluticasone to esomeprazole for esophageal eosinophilia. Am J Gastroenterol 2013;108:366-72.

67. Miehlke S, Lucendo AJ, Straumann A, Jan Bredenoord A, Attwood S. Orodispersible budesonide tablets for the treatment of eosinophilic esophagitis: a review of the latest evidence. Therap Adv Gastroenterol. 2020;13:1756284820927282.

68. Aubin F, Carbonnel F, Wendling D. The complexity of adverse side-effects to biological agents. J Crohns Colitis. 2013;7:257–262.

69. Aranez V, Ambrus J Jr. Immunologic adverse effects of biologics for the treatment of atopy. Clin Rev Allergy Immunol 2020;59:220-230.

70. Jensen ET, Kappelman MD, Martin CF, Dellon ES. Healthcare utilization, costs, and the burden of disease related to eosinophilic esophagitis in the United States. Am J Gastroenterol 2015;110:626-32.

71. Anderson J, Moonie S, Hogan MB, Scherr R, Labus B, Word J. Cost of chronic inflammatory disease: The impact of eosinophilic esophagitis in Nevada. J Dig Dis 2020;21:12-19.

72. Dellon ES. Cost-effective care in eosinophilic esophagitis. Ann Allergy Asthma Immunol 2019;123:166–172.

73. Beauchemin C, Castonguay A, Chan ES, Dellon ES, Feagan BG, Ma C, Waserman S, Cook J, Claveau D. Economic Evaluation of Budesonide Orodispersible Tablets for the Treatment of Eosinophilic Esophagitis: A Cost-Utility Analysis. Adv Ther 2021;38:5737-5751.

74. Shoda T, Wen T, Aceves SS, Abonia JP, Atkins D, Bonis PA, Caldwell JM, Capocelli KE, Carpenter CL, Collins MH, Dellon ES, Eby MD, Gonsalves N, Gupta SK, Falk GW, Hirano I, Menard-Katcher P, Kuhl JT, Krischer JP, Leung J, Mukkada VA, Spergel JM, Trimarchi MP, Yang GY, Zimmermann N, Furuta GT, Rothenberg ME; Consortium of Eosinophilic Gastrointestinal Disease Researchers (CEGIR). Eosinophilic oesophagitis endotype classification by molecular, clinical, and histopathological analyses: a cross-sectional study. Lancet Gastroenterol Hepatol 2018;3:477-488

75. Erwin EA, Jaramillo LM, Smith B, Kruszewski PG, Kahwash B, Grayson MH, Mejias A, Ramilo O. Sex Differences in Blood Transcriptional Profiles and Clinical Phenotypes in Pediatric Patients with Eosinophilic Esophagitis. J Allergy Clin Immunol Pract 2021;9:3350-3358.

Gastroenterol Latinoam 2022;52(4):439-452

452
Acta

DEL NÚMERO

Paciente con vómitos en el periodo posoperatorio

Ballerga

Hospital de Clínicas José de San Martín, Universidad de Buenos Aires. Ciudad Autónoma de Buenos Aires, Argentina.

Acta Gastroenterol Latinoam 2022;52(4):453

Recibido: 28/10/2022 / Aceptado: 12/12/2022 / Publicado online el 21/12/2022 / https://doi.org/10.52787/agl.v52i4.267

Se presenta un paciente masculino de 63 años que consulta por vómitos de 48 horas de evolución, con 10 episodios por día, a predominio posprandial, acompañados de distensión y dolor abdominal. Como antecedentes patológicos de relevancia presentaba una internación 15 días antes debido a un abdomen agudo secundario a un adenocarcinoma moderadamente diferenciado de colon, por lo que se le realizó una hemicolectomía izquierda. En ese contexto había presentado una pérdida de peso de 8 kilos.

Al examen físico estaba hemodinamicamente estable, afebril, con sequedad de piel y mucosas y adelgazado; presentaba un abdomen globuloso, blando, depresible e indoloro y con ruidos hidroaéreos positivos. Se realizó una radiografía directa de abdomen de pie que no arrojó datos patológicos. Debido al antecedente quirúrgico reciente, se decidió realizar una laparoscopía exploradora por sospecha de bridas que resultó normal. Por la persistencia del cuadro clínico se realizó una tomografía de abdomen y pelvis con contraste oral y endovenoso (Figuras 1 y 2).

Figura 1. Imagen axial de tomografía computada multicorte, con contraste oral y endovenoso, que demuestra estenosis de la tercera porción duodenal con dilatación proximal, en relación a severa disminución del espacio comprendido entre la arteria aorta y la arteria mesentérica superior (flecha roja: estenosis, flecha amarilla: arteria mesentérica superior)

Figura 2. Reconstrucción en el plano sagital de tomografía multicorte, con contraste oral y endovenoso, que demuestra la marcada reducción del compás aórtico mesentérico. El ángulo del mismo es de 20 grados (A) y la distancia entre la arteria mesentérica superior y la arteria aorta es de 4,3 mm (B). Nótese el aspecto filiforme de la tercera porción del duodeno entre ambos vasos. A B

Correspondencia:: Germán Francisco Rojas Correo electrónico: gerfel14@hotmail.com

¿Cuál es su diagnóstico? Solución del caso en la página 512

Acta Gastroenterol Latinoam 2022;52(4):453

453
♦IMAGEN
Germán Francisco Rojas · Gabriel Adrián Mariño Camacho · Jesica Antonella Andruetto Martín José Drago · Alejandro Moreira Grecco · Mariano Volpacchio · Esteban González

1 Departamento de Pediatría. Universidad del Valle. Cali, Colombia.

2 Universidad Central del Ecuador. Quito. Ecuador.

3 Hospital Universitario de Puebla, BUAP. Puebla, México.

4 Departamento de Pediatría, Hospital General de Cancún, “Dr. Jesús Kumate Rodríguez”. Cancún, Quintana Roo, México.

5 Hospital Infantil de Especialidades de Chihuahua, Chihuahua, México.

6 Clínica de Gastroenterología Pediátrica Dr. Roberto Zablah, San Salvador, El Salvador.

7 Hospital del Niño. Dr. José Renán Esquivel, Ciudad de Panamá, Panamá.

8 Hospital Pediátrico Universitario “Borrás-Marfan”. Facultad De Medicina “Manuel Fajardo”. La Habana, Cuba.

9 Centro de Gastroenterología, Endoscopia y Nutrición Pediátrica. Managua, Nicaragua.

10 Unidad de Especialidades Médicas, Departamento de Pediatría. Ciudad de México, México.

Acta Gastroenterol Latinoam 2022;52(4):454-463

Recibido: 19/10/2022 / Aceptado: 07/12/2022 / Publicado online: 21/12/2022 / https://doi.org/10.52787/agl.v52i4.264

Resumen

Introducción. La prevalencia de cólico infantil en niños colombianos es 10,4% según los criterios de Roma III. Objetivo. Determinar la prevalencia de cólico infantil en niños latinoamericanos según los criterios de Roma IV y sus

Correspondencia: Carlos Alberto Velasco-Benítez

Correo electrónico: carlos.velasco@correounivalle.edu.co

posibles asociaciones. Materiales y métodos. Estudio observacional descriptivo de corte transversal realizado en dos países de Sudamérica y cinco de Centroamérica. A partir de la base de datos del Functional International Digestive Epidemiological Research Survey, se incluyeron niños menores de 5 meses diagnosticados con cólico infantil a través del Cuestionario de Síntomas Gastrointestinales Pediátricos Roma IV. Resultados. Se analizaron 633 lactantes (74,4% de América del Sur, 2,3 ± 1,1 meses de edad). Se diagnosticó cólico infantil en 7,4% (61,7% hombres; 59,6% mestizos; 38,3% colombianos), siendo más frecuente en el primer mes de vida y en los nacidos por cesárea, en el 27,7% de prematuros, el 10,6% de los alimentados con leche humana y el 4,3% con padres separados. Se encontró mayor oportunidad para cólico infantil en la raza mestiza (OR = 1,86 IC95%

454 Acta Gastroenterol Latinoam
♦MANUSCRITO ORIGINAL
2022;52(4):454-463
Prevalencia de cólico infantil: experiencia del grupo de trabajo en trastornos del eje cerebrointestino de la Sociedad Latinoamericana de Gastroenterología, Hepatología y Nutrición Pediátrica (SLAGHNP)
Carlos Alberto Velasco-Benítez1 · Claudia Jimena Ortíz-Rivera1 · Yeneile Lisbeth Huetio Florez1 · Edgar Játiva Mariño2 Fátima Azereth Reynoso Zarzosa3 · Mariana Xail Espriu Ramírez4 · Jorge Alberto Macías-Flores5 · Roberto Arturo Zablah Córdova6 · Ricardo A. Chanis Águila7 · Trini Fragoso Arbelo8 · Milton Danilo Mejía Castro9 · Yunuen Rivera Suazo10

= 0,97-3,60 p = 0,0416) y ante la presencia de trastornos del eje cerebro intestino intrafamiliares (OR = 4,24 IC95% = 1,15-12,85 p = 0,0036). Vivir con ambos padres fue un factor protector (OR = 0,23 IC95% = 0,020,94 p = 0,0336). Conclusión. La prevalencia de cólico infantil en lactantes latinoamericanos, del 7,4%, fue menor a la descripta por Roma III. Se encontró asociación con los trastornos del eje cerebro intestino intrafamiliares y la raza mestiza. El hecho de vivir con ambos padres fue un factor protector.

Palabras claves. Cólico infantil, prevalencia, Roma IV, factores de riesgo.

III. An association was found with intrafamilial gut-brain disorders and mestizos. Living with both parents was a protective factor.

Keywords. Infantile colic, prevalence, Rome IV, risk factor.

Abreviaturas

CI: Cólico infantil. TECI: Trastornos del eje cerebro intestino.

Introducción

Prevalence

of Infantile Colic: Experience of the Working Group on Disorders of Gut-Brain Axis of the Latin American Society of Paediatric Gastroenterology, Hepatology and Nutrition (LASPGHAN)

Summary

Introduction. The prevalence of infantile colic in Colombian children is 10.4% according to Rome III criteria. Aim. To determine the prevalence of infantile colic in Latin American children (Latam) according to Rome IV criteria and its possible associations. Materials and methods. Observational, descriptive, and cross-sectional study conducted in two South American and five Central American countries. From the Functional International Digestive Epidemiological Research Survey database, we included children under 5 months of age who were diagnosed with infantile colic through the Questionnaire Pediatric Gastrointestinal Symptoms Rome IV. Results. We analyzed 633 infants (74.4% from South America, 2.3 ± 1.1 months of age). Infantile colic was diagnosed in 7.4% (61.7% male; 59.6% mestizo; 38.3% Colombian); being more frequent in the first month of life and in those born by caesarean section, in 27.7% of preterm infants, 10.6% of those fed with human milk and 4.3% with separated parents. A higher chance for infantile was found colic in mestizos (OR = 1.86 CI95% = 0.97-3.60 p = 0.0416) and in the presence of intrafamilial gutbrain axis disorders (OR = 4.24 CI95% = 1.15-12.85 p = 0.0036). Living with both parents was a protective factor (OR = 0.23 CI95% = 0.02-0.94 p = 0.0336). Conclusion. The prevalence of infantile colic in Latam children, of 7.4%, was lower than that described by Rome

Los criterios de Roma IV definen cólico infantil (CI) como el lactante menor de 5 meses de edad, sano, que presenta períodos recurrentes y prolongados de llanto, molestia e irritabilidad que ocurren sin una causa obvia y no pueden ser prevenidos o resueltos por sus cuidadores.1 Su prevalencia está entre 1,9% y 19,2%,2-7 relatándose como factores de riesgo: lactantes con alimentación mixta o con fórmula,8 madre migrañosa9 y con mayor nivel educativo, ser recién nacido con bajo peso al nacer6 y haber nacido prematuramente.10,11 Sin embargo, en Latinoamérica no han sido reportados ni su prevalencia ni los factores de riesgo.

El objetivo del presente estudio es determinar la prevalencia de CI y sus posibles asociaciones en niños latinoamericanos de Colombia, Ecuador, Panamá, El Salvador, Nicaragua, Cuba y México, según los criterios de Roma IV.

Materiales y Métodos

De los 2766 niños latinoamericanos menores de 4 años (Sudamérica: Colombia y Ecuador, y Centroamérica: Panamá, Cuba, El Salvador, Nicaragua y México) registrados en la base de datos de Functional International Digestive Epidemiological Research Survey (FINDERS) entre el 15 de junio de 2018 y el 15 de febrero de 2022, fueron incluidos 674 lactantes menores de 5 meses de edad. El 6,1% se excluyeron (n= 41) por alergia a la proteína de leche de vaca, enfermedad por reflujo gastroesofágico, intolerancia a la lactosa, síndrome de Down, malformaciones anorrectales y esofágicas, y enfermedades neurológicas, cardíacas, renales y respiratorias; quedando para el análisis final 633 lactantes (Figura 1).

Se consideraron variables sociodemográficas (edad, sexo, raza y origen), clínicas (cesárea y prematurez), familiares (ser hijo único, primogénito, convivencia con padres y trastornos del eje cerebro intestino (TECI) intrafamiliares), nutricionales (lactancia materna, biberón, alimentación complementaria y derivados lácteos) y variables asistencia-

Acta Gastroenterol Latinoam 2022;52(4):454-463

455
Cólico infantil: experiencia SLAGHNP Carlos Alberto Velasco-Benítez y col.

Figura 1. Diagrama de flujo de pacientes

41 excluidos

APLV, ERGE, Sx convulsivo, Cardíacos, IVU, DBP, Sx Down, Intolerancia a la lactosa, Malformaciones anorectales y esofágicas

2766

< 4 años de la base de datos FINDERS (Func onal Interna onal Diges ve Epidemiological Research Survey)

2092 > 5 meses 674 < 5 meses invitados a par cipar 633 incluidos en el estudio

APLV: Alergia a la proteína de leche de vaca, ERGE: Enfermedad por reflujo gastroesofágico, Sx: Síndrome, IVU: Infección de vías urinarias, DBP: Displacia broncopulmonar.

les (tipo de institución, tipo de consulta y médico tratante).

Todos los lactantes registrados en esta base de datos tenían consentimiento informado de padres y cuidadores a quienes se les aplicó el Cuestionario para Síntomas Digestivos Pediátricos en Español Roma IV (QPGS-IV) para identificar la presencia de algún TECI.

El análisis estadístico realizado con el software Stata 16 incluyó medidas de tendencia central como porcentajes, promedios y desviaciones estándar; análisis univariado usando la prueba de chi cuadrado (χ2) y la t de student, y el análisis bivariado por medio del cálculo del OR y sus intervalos de confianza al 95%, siendo significativa una p < 0,05.

El estudio fue aprobado por el Comité de ética del Hospital Universitario del Valle “Evaristo García” de Cali, Colombia Código 023-2019, el Comité de ética en Investigación Clínica de la Unidad de Especialidades Médicas de Ciudad de México, México Folio 011-2019 y la Comisión de ética del Consejo Científico del Hospital Pediátrico Universitario Borrás-Marfán de La Habana, Cuba.

Resultados

Características generales. Las principales características de los 633 lactantes incluidos (2,3 +/- 1,1 meses; 51,0% masculinos; 49,7% mestizos; 74,4% sudameri-

Tabla 1. Características generales de lactantes latinoamericanos menores de 5 meses N=633

Latam Suramérica Centroamérica Colombia Ecuador México El Salvador Panamá Cuba Nicaragua N=633 n=471 n=162 n=371 n=100 n=60 n=43 n=29 n=19 n=11

Variables sociodemográficas

Grupos de edad (meses)

1 197 (31,1) 145 (30,8) 52 (32,1) 110 (29,7) 35 (35,0) 19 (31,7) 23 (53,5) 4 (13,8) 1 (5,3) 5 (45,5)

2 153 (24,2) 118 (25,1) 35 (21,6) 95 (25,6) 23 (23,0) 9 (15,0) 10 (23,3) 7 (24,1) 5 (26,3) 4 (36,4)

3 141 (22,3) 102 (21,7) 39 (24,1) 82 (22,1) 20 (20,0) 16 (26,7) 5 (11,6) 10 (34,5) 6 (31,6) 2 (18,2)

4 142 (22,4) 106 (22,5) 36 (22,2) 84 (22,6) 22 (22,0) 16 (26,7) 5 (11,6) 8 (27,6) 7 (36,8) 0 (0,0)

Sexo

Femenino 310 (49,0) 237 (50,3) 73 (45,1) 188 (50,7) 49 (49,0) 30 (50,0) 19 (44,2) 10 (34,5) 10 (52,6) 4 (36,4)

Masculino 323 (51,0) 234 (49,7) 89 (54,9) 183 (49,3) 51 (51,0) 30 (50,0) 24 (55,8) 19 (65,5) 9 (47,4) 7 (63,6)

Raza (n=577)

Mestiza 287 (49,7) 214 (51,6) 73 (45,1) 173 (46,4) 41 (93,2) 51 (85,0) 2 (4,7) 11 (37,9) 16 (84,2) 7 (63,6)

Blanca 133 (23,1) 69 (16,6) 64 (39,5) 67 (18,1) 2 (4,6) 7 (11,7) 41 (95,3) 11 (37,9) 2 (10,5) 4 (36,4)

Afrodescendiente 80 (13,9) 72 (17,4) 8 (4,9) 71 (19,1) 1 (2,2) 2 (3,3) 0 (0,0) 6 (20,7) 1 (5,3) 0 (0,0)

Indígena 77 (13,3) 60 (14,5) 17 (10,5) 60 (16,2) 0 (0,0) 0 (0,0) 0 (0,0) 1 (3,5) 0 (0,0) 0 (0,0) Continúa en página siguiente

456 Acta Gastroenterol
Latinoam 2022;52(4):454-463
Cólico infantil: experiencia SLAGHNP Carlos Alberto Velasco-Benítez y
col.

Tabla 1. Características generales de lactantes latinoamericanos menores de 5 meses N=633

Latam Suramérica Centroamérica Colombia Ecuador México El Salvador Panamá Cuba Nicaragua N=633 n=471 n=162 n=371 n=100 n=60 n=43 n=29 n=19 n=11

Variables clínicas

Cesárea (n=565)

No 257 (45,5) 197 (47,5) 60 (40,0) 170 (45,8) 27 (61,4) 13 (27,1) 16 (37,2) 11 (37,9) 15 (79,0) 5 (45,5)

Si 308 (54,5) 218 (52,5) 90 (60,0) 201 (54,2) 17 (38,6) 35 (72,9) 27 (62,8) 18 (62,1) 4 (21,0) 6 (54,5)

Prematurez (n=565)

No 370 (65,5) 229 (48,6) 128 (85,3) 202 (54,5) 40 (90,9) 36 (75,0) 39 (90,7) 25 (86,2) 17 (89,5) 11 (100,0)

Si 195 (34,5) 242 (51,4) 22 (14,7) 169 (45,5) 4 (9,1) 12 (25,0) 4 (9,3) 4 (13,8) 2 (10,5) 0 (0,0)

Variables familiares

Hijo único No 241 (38,1) 229 (48,6) 12 (7,4) 208 (56,1) 21 (21,0) 1 (1,7) 0 (0,0) 0 (0,0) 7 (36,8) 4 (36,4) Si 392 (61,9) 242 (51,4) 150 (92,6) 163 (43,9) 79 (79,0) 59 (98,3) 43 (100,0) 29 (100,0) 12 (63,2) 7 (63,6)

Primogénito No 233 (36,8) 222 (47,1) 11 (6,8) 201 (54,2) 21 (21,0) 0 (0,0) 0 (0,0) 0 (0,0) 7 (36,8) 4 (36,4) Si 400 (63,2) 249 (52,9) 151 (93,2) 170 (45,8) 79 (79,0) 60 (100,0) 43 (100,0) 29 (100,0) 12 (63,2) 7 (63,6)

Convivencia con padres/cuidadores (n=563)

No 85 (15,1) 72 (17,3) 13 (8,8) 62 (16,7) 10 (22,7) 4 (8,3) 5 (11,6) 1 (3,4) 2 (11,8) 1 (9,1)

Si 478 (84,9) 343 (82,7) 135 (91,2) 309 (83,3) 34 (77,3) 44 (91,7) 38 (88,4) 28 (96,6) 15 (88,2) 10 (90,9)

TECI intrafamiliares (n=586)

No 612 (96,7) 461 (97,9) 151 (93,2) 361 (97,3) 100 (100,0) 58 (96,7) 40 (93,0) 29 (100,0) 19 (100,0) 5 (45,5) Si 21 (3,3) 10 (2,1) 11 (6,8) 10 (2,7) 0 (0,0) 2 (3,3) 3 (7,0) 0 (0,0) 0 (0,0) 6 (54,5)

Variables nutricionales

Lactancia materna (n=546) No 76 (13,9) 45 (10,8) 31 (23,7) 43 (11,6) 2 (4,6) 15 (31,3) 7 (16,3) 7 (24,1) n/a 2 (18,2) Si 470 (86,1) 370 (89,2) 100 (76,3) 328 (88,4) 42 (95,4) 33 (68,7) 36 (83,7) 22 (75,9) 9 (81,8)

Biberón (n=546)

No 239 (43,8) 193 (46,5) 46 (35,1) 172 (46,4) 21 (47,7) 18 (37,5) 10 (23,3) 13 (44,8) n/a 5 (45,5) Si 307 (56,2) 222 (53,5) 85 (64,9) 199 (53,6) 23 (52,3) 30 (62,5) 33 (76,7) 16 (55,2) 6 (54,5)

Complementaria (n=546)

No 499 (91,4) 388 (93,5) 111 (84,7) 348 (93,8) 40 (90,9) 37 (77,1) 42 (97,7) 22 (75,9) n/a 10 (90,9) Si 47 (8,6) 27 (6,5) 20 (15,3) 23 (6,2) 4 (9,1) 11 (22,9) 1 (2,3) 7 (24,1) 1 (9,1)

Derivados lácteos (n=501)

No 477 (95,2) 388 (97,7) 89 (85,6) 347 (93,3) 41 (93,2) 31 (77,5) 25 (92,6) 22 (75,9) n/a 11 (100,0) Si 24 (4,8) 9 (2,3) 15 (14,4) 6 (1,7) 3 (6,8) 9 (22,5) 2 (7,4) 7 (24,1) 0 (0,0)

Variables asistenciales

Tipo de institución (n=591)

Pública 397 (67,2) 349 (81,4) 48 (29,6) 249 (75,7) 100 (100,0) 16 (26,7) 0 (0,0) 13 (44,8) 19 (100,0) 0 (0,0) Privada 194 (32,8) 80 (18,6) 114 (70,4) 80 (24,3) 0 (0,0) 44 (73,3) 43 (100,0) 16 (55,2) 0 (0,0) 11 (100,0

Tipo de consulta (n=329)

Primera vez 261 (79,3) 158 (85,0) 103 (72,0) 158 (85,0) n/a 46 (76,7) 24 (55,8) 29 (100,0) n/a 4 (36,4) Control 68 (20,7) 28 (15,0) 40 (28,0) 28 (15,0) 14 (23,3) 19 (44,2) 0 (0,0) 7 (63,6)

Profesional de la salud

Pediatra 431 (68,1) 431 (91,5) 0 (0,0) 331 (89,2) 100 (100,0) 0 (0,0) 0 (0,0) 0 (0,0) 0 (0,0) 0 (0,0) Gastropediatra 202 (31,9) 40 (8,5) 162 (100,0) 40 (10,8) 0 (0,0) 60 (100,0) 43 (100,0) 29 (100,0) 19 (100,0) 11 (100,0

457
Acta Gastroenterol Latinoam 2022;52(4):454-463
Cólico infantil: experiencia SLAGHNP Carlos Alberto Velasco-Benítez y col.

canos), se encuentran descriptas en la Tabla 1. Prevalencia. El 7,4% de los 633 lactantes latinoamericanos analizados presentaron CI, que fue disminuyendo a mayor edad (Figura 2). Diecisiete lactantes presentaron coexistencia de CI con otro TECI: en el 1,6% junto con regurgitación; en el 0,8% con disquecia y en el 0,2% con estreñimiento. Un lactante (0,2%) presentó CI, disquecia y regurgitación. En cuanto al tiempo de irritabilidad, inquietud y llanto, en el 72,3% duró entre 3 y 6 horas y en el 44,7% se presentó en los 7 días de la semana. Al realizar un subanálisis de los lactantes en época de pandemia Covid-19, hubo una mayor prevalencia de CI durante la misma, pero sin diferencias estadísticas

(7,4% antes de marzo 2020 vs 8,3% luego marzo 2020 p = 0,511), así como en Centroamérica (OR = 10,26 IC95% = 4,53-25,31 p = 0,0000); y hubo una menor prevalencia en los menores de 1 mes de edad (OR = 0,18 IC95% = 0,03-0,61 p = 0,0024) y en los prematuros (OR = 0,22 IC95% = 0,05-0,63 p = 0,0023).

Factores de riesgo. Hubo mayor oportunidad de presentar CI en la raza mestiza (OR = 1,86 IC95% = 0,973,60 p = 0,0416), de Centroamérica (OR = 4,97 IC95% = 2,57-9,70 p = 0,0000), con TECI intrafamiliar (OR = 4,24 IC95% = 1,15-12,85 p = 0,0036), asistidos en consulta privada (OR = 4,18 IC95% = 2,12-8,46 p = 0,0000) y atendidos por gastroenterólogos pediatras

Figura 2. Edad de presentación del cólico infantil en lactantes latinoamericanos

1 mes 9,1%

2 meses 8,5%

3 meses 6,4%

4 meses 4,9%

Tabla 2. Posibles asociaciones entre cólico y variables en lactantes latinoamericanos N=633

Cólico N=633

Si No OR IC95% p 47 (7,4) 586 (92,6)

Variables sociodemográficos

Edad

1 mes 18 (9,1) 179 (90,9) 1,41 0,71-2,70 0,2694

2 meses 13 (8,5) 140 (91,5) 1,21 0,57-2,44 0,5615

3 meses 9 (6,4) 132 (93,6) 0,81 0,33-1,77 0,5924

4 meses 7 (4,9) 135 (95,1) 0,58 0,21-1,35 0,1978

Sexo

Femenino 18 (5,8) 292 (94,2) 1,00

Masculino 29 (9,0) 294 (91,0) 1,60 0,83-3,12 0,1281

Raza mestiza

No 19 (5,5) 327 (94,5) 1,00

Si 28 (9,8) 259 (90,2) 1,86 0,97-3,60 0,0416

Origen centroamericano

No 19 (4,0) 452 (96,0) 1,00 Si 28 (17,3) 134 (82,7) 4,97 2,57-9,70 0,0000 Continúa en página siguiente

458
Acta Gastroenterol Latinoam 2022;52(4):454-463
Cólico infantil: experiencia SLAGHNP Carlos Alberto Velasco-Benítez y col.

Tabla 2. Posibles asociaciones entre cólico y variables en lactantes latinoamericanos N=633

Cólico N=633

Si No OR IC95% p 47 (7,4) 586 (92,6)

Variables clínicas

Cesárea 29 (9,4) 279 (90,6) 1,46 0,75-2,91 0,2254

Prematurez 13 (6,7) 182 (93,3) 0,72 0,34-1,46 0,3520

Variables familares

Hijo unico 34 (8,7) 358 (91,3) 1,66 0,83-3,51 0,1265

Primogénito 34 (8,5) 366 (91,5) 1,57 0,78-3,31 0,1765

Convivencia con padres 2 (2,4) 83 (97,6) 0,23 0,02-0,94 0,0336 TECI intrafamiliares 5 (23,8) 16 (76,2) 4,24 1,15-12,85 0,0036

Variables nutricionales

Lactancia materna 40 (8,5) 430 (91,5) 1,32 0,49-4.43 0,5699 Biberón 28 (9,1) 279 (90,9) 1,31 0,67-2,62 0,3974 Complementaria 1 (2,1) 46 (97,9) 0,22 0,005-1,39 0,1108 Derivados lácteos 2 (8,3) 22 (91,7) 0,99 0,10-4,29 0,9928

Variables asistenciales

Privada 29 (14,9) 165 (85,1) 4,18 2,12-8,46 0,0000 Primera vez 29 (11,1) 232 (88.9) 0,93 0,39-2,49 0,8792 Gastropediatra 32 (15,8) 170 (84,2) 5,22 2,65-10,62 0,0000

(OR = 5,22 IC95% = 2,65-10,62 p = 0,0000) (Tabla 2).

Discusión

Nuestra prevalencia de CI fue del 7,4%, por debajo de lo reportado previamente en otros países latinoamericanos según los Criterios de Roma III, que variaron entre el 8,7% y el 22,8%.12-14 Según los Criterios de Roma IV, Muhardi y col.,2 reportan una prevalencia de CI entre 1,9% y 19,2%, según una revisión sistemática de 4 trabajos de investigación publicados en 2018 y 2021, de Estados Unidos, Europa y Asia. En lactantes de Vietnam, Suecia, España y China, se reportan prevalencias de CI entre el 2,5% y 14,9%.3-6 En general, la prevalencia para presentar algún TECI en lactantes y preescolares de las Américas es mayor que en Europa y Asia.7 Nosotros identificamos una coexistencia de CI con regurgitación del 1,6%. Según los criterios de Roma III en lactantes de Colombia, Ecuador, Nicaragua y Panamá, esta coexistencia es del 0,5%.15 Las diferencias en estas prevalencias son multifactoriales. Pueden ser debidas a la versión del cuestionario utilizado, al tipo de población estudiada, a la subjetividad de las familias en la observación, tolerancia y enfrentamiento del llanto prolongado, a las fluctuaciones propias de los TECI en el tiempo, a las costumbres culturales de cada región, a la recolección de los datos durante la pandemia por SARS Cov2 (por disminución

de la oportunidad de consulta o por efectos del confinamiento), y a cambios climáticos o estacionales. Sin embargo, Alonso-Bermejo y col.5 a pesar de encontrar cierta variación estacional en lactantes españoles, no encontraron diferencias significativas en el total ni por grupos de edad. Unido a estos componentes conductuales, Gordon y col.16 no descartan la posibilidad de tener en cuenta factores biológicos que contribuyan a su manifestación, como la hipersensibilidad y/o alergia a los alimentos, la microflora y la dismotilidad intestinal. Con relación a los componentes psicológicos, Firooz y col.17 en una revisión sistemática realizada en diciembre del 2019, identificaron factores parentales que afectan la incidencia de CI. Al analizar 18 trabajos de investigación (10 estudios prospectivos, 6 transversales y 2 de casos y controles) encontraron que la depresión de los padres, la ansiedad y el bajo apoyo familiar inciden en la incidencia de CI, proponiendo que la identificación de estos factores de riesgo y la planificación precisa pueden ser beneficiosas en la prevención y el tratamiento del CI. El llanto inconsolable puede conducir a que padres y cuidadores, en su nivel de frustración, ocasionen daños al niño (bebé sacudido), por lo que el Comité sobre Abuso y Negligencia Infantil de la Academia Americana de Pediatría recomienda que los pediatras eduquen a los padres sobre los enfoques seguros para calmar y lidiar con el llanto de sus hijos.18

459
Acta Gastroenterol Latinoam 2022;52(4):454-463
Cólico infantil: experiencia SLAGHNP Carlos Alberto Velasco-Benítez y col.

Nuestro factor protector para presentar CI fue la convivencia con los padres. Suklert y col.8 encontraron en lactantes de Thailandia que aquellos que fueron amamantados exclusivamente durante los primeros 2 meses de vida tuvieron una menor incidencia de CI que los que recibieron alimentación mixta o con fórmula (OR = 3,0; IC95% = 1,3 a 7,2; p < 0,05). Nuestros factores de riesgo para presentar CI incluyeron ser asistido por un gastroenterólogo pediatra, de institución privada, tener un TECI en un familiar que conviva con el lactante y ser de raza mestiza. Trece de los familiares de los niños con CI de nuestro estudio presentaron migraña. Gelfan y col.9 reportaron que las madres migrañosas tienen una probabilidad mayor que los padres con migraña de tener un lactante con cólico. Huang y col.6 describieron factores de riesgo en lactantes chinos, como tener un mayor nivel educativo (maestría) en la madre (OR = 3,39; IC95% = 1,02 a 11,33; p = 0,047) y ser un recién peso al nacer entre 2,1 y 2,5 kg (OR = 7,92; IC95% = 1,37 a 45,85; p = 0,021). Otro factor de riesgo para presentar CI es la prematurez en lactantes brasileros10 (OR = 1,97; IC95% = 1,19 a 3,24; p < 0,05) y en lactantes turcos11 (p = 0,025). Nosotros no logramos encontrar esta asociación de CI y prematurez, al igual que Gondim y col.19 en lactantes brasileros (10,7% vs 4.3%; p = 0,360). En nuestro caso, en Centroamérica reportamos una mayor prevalencia para CI que en Sudamérica (17,3% versus 4,0% p < 0,05). Los factores de riesgo protectores y agresores para presentar CI varían de una comunidad a otra y amerita que se realicen estudios descriptivos analíticos multicéntricos que logren un análisis estadístico robusto. De ese modo se obtendrán resultados que permitan a los profesionales de la salud educar, prevenir, tratar y orientar a los padres y cuidadores ansiosos, frustrados y angustiados de los lactantes consultantes.

En nuestro estudio, la prevalencia para presentar CI fue del 9,1%; 8,5%; 6,4% y 4,9% a los 1, 2, 3 y 4 meses de vida, resultados muy similares a los descriptos por Chia y col.3, cuya edad pico para presentar CI fue entre los 1 y 2 meses de edad. Wolke y col.20 en un metaanálisis que incluyó 28 trabajos de investigación hasta diciembre de 2015, determinaron que el CI en los menores de 3 meses de vida fue mucho más frecuente en las primeras 6 semanas de vida (17%-25%), en comparación con las 8 y 9 semanas de edad (11%) o las 10 y 12 semanas de edad (0,6%). Además, invitaron a los médicos a utilizar la curva de Wolke, que permite determinar si los lactantes lloran excesivamente según su edad, cuando se encuentran por encima del percentil 90. Con relación a la edad y la presencia de dolor abdominal tipo cólico, se propone no limitar esta sintomatología tan solo a los lactantes menores de 5 meses de edad, e identificarla incluso hasta el primer año de vida. Velasco-Benitez y col., reportan un 1,2% de dolor abdominal tipo cólico en lactantes latinoamericanos entre los 5 y 12 meses de edad.21

A pesar de que nuestro estudio el 72,3% los lactantes lloraron entre 3 y 6 horas al día y el 44,7% lo hicieron todos los días de la semana, no se analizó el manejo recibido. Sin embargo, en referencia al uso de los probióticos en CI, los 5 metaanálisis y 4 revisiones sistemáticas descriptas en la Tabla 3,22-30 que incluyen resultados de trabajos de investigación realizados entre 2014 y 2020, demuestran que la administración de probióticos en lactantes reduce el tiempo de llanto en los lactantes con CI. Tres de estos metaanálisis solo incluyeron en el análisis al Limosilactobacillus reuteri y uno de ellos fue realizado únicamente con lactantes alimentados en forma exclusiva con leche humana.

Con relación al uso de probióticos y lactantes con CI, Sung y col.24 y Schreck y col.27 sugieren que se requie-

Tabla 3. Meta-análisis y revisiones sistemáticas sobre el uso de probióticos en lactantes con CI

Tipo de estudio Probiótico Sujetos No. trabajos Hasta

dos Reis, 202122 MA L. reuteri LH 8 Febrero 2019 Gutiérrez, 201723 MA L. reuteri LH, FI 32 2015

Sung, 201824 MA L. reuteri LH, FI 4 Junio 2017

Ong, 201925 MA Varios LH, FI 6 2018 Skonieczna-Zydecka, 202026 MA Varios LH, FI 16 Febrero 2020 Schreck, 201727 RS Varios LH, FI 5 Diciembre 2014

Harb, 201628 RS Varios LH, FI 17 Julio 2015

Dryl, 201829 RS Varios LH, FI 7 Abril 2016 Ellwood, 202030 RS Varios LH, FI 32 2019

MA: meta-análisis; RS: revisión sistemática; L. reuteri: Limosilactobacillus reuteri; LH: leche humana; FI: fórmula infantil.

Acta Gastroenterol Latinoam 2022;52(4):454-463

460
Cólico infantil: experiencia SLAGHNP Carlos Alberto Velasco-Benítez y col. Autor/año

re de futuras investigaciones. Xu y col.31, concluyen que son necesarios más ensayos clínicos controlados aleatorizados y multicéntricos de mayor calidad y con mayores tamaños de muestra. Shirazinia y col.32 piensan que los probióticos, debido a sus propiedades antiinflamatorias, pueden ser una opción importante para el manejo del CI. Sin embargo, se desconoce la relación causal entre el efecto modulador de los probióticos sobre la microbiota y el sistema inmunitario.26 Otros tratamientos como la terapia manual, quiropráctica y la reflexología33-36 son controversiales. La evidencia es limitada en relación con los programas de formación para padres,37 la manipulación de la dieta materna, la lactasa, la sacarosa, la glucosa, la simeticona, la diciclomina, el cimetroprio, las hierbas, la acupuntura y los inhibidores de la bomba de protones.23, 28, 30, 38 Finalmente, acerca del manejo dietético y el CI, la evidencia de la efectividad de las modificaciones dietéticas para el tratamiento del CI es escasa y presenta un riesgo de sesgo importante, por lo que no se podría recomendar ninguna intervención.16 Sin embargo, puede ser beneficioso eliminar la leche de vaca tanto en niños amamantados como en madres lactantes.39 Incluso el uso de fórmulas con derivados de proteína de suero de leche parcialmente hidrolizados podría reducir los síntomas clínicos en niños con cólicos.40 El papel de evitar la lactosa en el cólico infantil es discutible debido a la falta de evidencia clínica y no debe recomendarse como tratamiento de rutina.41

Conclusión

La prevalencia de CI en lactantes latinoamericanos del 7,4% es más frecuente en Centroamérica y es más baja que lo descripto por los criterios de Roma III. Además, el CI es más diagnosticado en la consulta privada, por el gastroenterólogo pediatra y asociada a TECI intrafamiliares y la raza mestiza. Se encontró como factor protector convivir con padres/cuidadores.

Consentimiento para la publicación. Se obtuvo el consentimiento informado por escrito del paciente o su padre, tutor o familiar, para la publicación de los datos y/o imágenes clínicas en beneficio de la ciencia. La copia del formulario de consentimiento se encuentra disponible para los editores de esta revista.

Propiedad intelectual. Los autores declaran que los datos, las figuras y las tablas presentes en el manuscrito son originales y se realizaron en sus instituciones pertenecientes.

Financiamiento. Los autores declaran que no hubo fuentes de financiación externas.

Conflicto de interés. Los autores declaran no tener conflictos de interés en relación con este artículo.

Condiciones para compartir los datos. Los datos estarán disponibles inmediatamente después de la publicación sin fecha de finalización y podrán ser obtenidos por investigadores que aporten una propuesta metodológicamente sólida para cualquier propósito de análisis, para lo cual deben dirigirse al Departamento de Pediatría de la Universidad del Valle de Cali, Colombia al correo electrónico departamento.pediatria@correounivalle.edu.co.

Aviso de derechos de autor

© 2022 Acta Gastroenterológica Latinoamericana. Este es un artículo de acceso abierto publicado bajo los términos de la Licencia Creative Commons Attribution (CC BY-NC-SA 4.0), la cual permite el uso, la distribución y la reproducción de forma no comercial, siempre que se cite al autor y la fuente original

Cite este artículo como: Velasco-Benítez C A, Ortíz-Rivera C J, Huetio Florez Y L y col. Prevalencia de cólico infantil: experiencia del grupo de trabajo en trastornos del eje cerebrointestino de la Sociedad Latinoamericana de Gastroenterología, Hepatología y Nutrición Pediátrica (SLAGHNP). Acta Gastroenterol Latinoam. 2022; 52(4):454-463 https://doi. org/10.52787/agl.v52i4.264

Referencias

1. Benninga MA, Nurko S, Faure C, Hyman PE, Roberts ISJ, Schechter NL, Nurko S. Childhood Functional Gastrointestinal Disorders: Neonate/Toddler. Gastroenterology 2016;150(6):14431455. DOI: 10.1053/j.gastro.2016.02.016

2. Muhardi L, Aw MM, Hasosah M, Ng RT, Chong SY, Hegar B, Toro-Monjaraz E, Darma A, Cetinkaya M, Chow CM, Kudla U, Vandenplas Y. A Narrative Review on the Update in the Prevalence of Infantile Colic, Regurgitation, and Constipation in Young Children: Implications of the ROME IV Criteria. Front Pediatr 2022;9(1);778747. DOI : 10.3389/ fped.2021.778747

3. Chia LW, Nguyen TVH, Phan VN, Luu TTN, Nguyen GK, Tan SY, Rajindrajith S, Benninga MA. Prevalence and risk factors of functional gastrointestinal disorders in Vietnamese infants and young children. BMC Pediatrics 2022; 22: 315. DOI: 10.1186/ s12887-022-03378-z

Acta Gastroenterol Latinoam 2022;52(4):454-463

461
Cólico infantil: experiencia SLAGHNP Carlos Alberto Velasco-Benítez y col.

4. Despriee AW, Mägi CAO, Småstuen MC, Glavin K, Nordhagen L, Jonassen CM, Rehbinder EM, Nordlund B, Soderhall C, Carlsen KL, Skjerven HO. Prevalence and perinatal risk factors of parent-reported colic, abdominal pain and other pain or discomforts in infants until 3 months of age - A prospective cohort study in PreventADALL. J Clin Nurs 2021;00:1-13. DOI: 10.1111/ jocn.16097

5. Alonso-Bermejo C, Barrio J, Fernandez B, Garcia-Ochoa E, Santos A, Herreros M, Perez C. Frecuencia de trastornos gastrointestinales funcionales según criterios Roma IV. An Pediatr 2022;96:441-447. DOI: 10.1016/j.anpedi.2021.05.021

6. Huang Y, Tan SY, Parikh P, Buthmanaban V, Rajindrajith S, Benninga MA. Prevalence of functional gastrointestinal disorders in infants and young children in China. BMC Pediatrics 2021;21:131. DOI: 10.1186/s12887-021-02610-6

7. Velasco-Benítez CA, Collazos-Saa LI, García-Perdomo HA. Functional Gastrointestinal Disorders in Neonates and Toddlers According to the Rome IV Criteria: A Systematic Review and Meta-Analysis. Pediatr Gastroenterol Hepatol Nutr 2022;25(5):376386. DOI: 10.5223/pghn.2022.25.5.376

8. Suklert K, Phavichitr N. Incidence and Associated Factors of Infantile Colic in Thai Infants. Pediatr Gastroenterol Hepatol Nutr 2022 25(3):276-282. DOI: 10.5223/pghn.2022.25.3.276

9. Gelfand AA, Buse DC, Cabana MD, Grimes B, Goadsby PJ, Allen IE. The Association Between Parental Migraine and Infant Colic: A Cross-Sectional, Web-Based, U.S. Survey Study. Headache 2019;59(7-8):988-1001. DOI: 10.1111/head.13575

10. de Morais MB, Toporovski MS, Tofoli MHC, Barros KV, Silva LR, Ferreira CHT. Prevalence of Functional Gastrointestinal Disorders in Brazilian Infants Seen in Private Pediatric Practices and Their Associated Factors. J Pediatr Gastroenterol Nutr 2022;75(7):17-22. DOI: 10.1097/MPG.0000000000003469

11. Beser OF, Cokugras FC, Dogan G, Akgun O, Elevli M, Yilmazbas P, Ocal M, Bayrak NA, Yamanel RGS, Bozaykut A, Celtik C, Polat E, Gerenli N, Bozlak S, Civan HA, Saglam NO, Hatipoglu SS, Ozgurhan G, Silistre ES, Solmaz B, Kutluk G, Genc HS, Onal H, Usta AM, Urganci N, Sahin A, Cam S, Yildririm S, Yildirim A, Vandenplas Y. The frequency of and factors affecting functional gastrointestinal disorders in infants that presented to tertiary care hospitals. Eur J Pediatr 2022;180(8):2443-2452. DOI: 10.1007/s00431-021-04059-2

12. Chogle A, Velasco-Benitez CA, Koppen IJ, Moreno JE, Ramirez CR, Saps M. A Population-Based Study on the Epidemiology of Functional Gastrointestinal Disorders in Young Children. J Pediatr 2016;179(12):139-143. DOI: 10.1016/j.jpeds.2016.08.095

13. Chogle A, Velasco-Benitez CA, Chanis R, Mejia M, Saps M. Multicountry cross-sectional study found that functional gastrointestinal disorders such as colic and functional dyschezia were common in South American infants. Acta Pædiatr 2018;107:708713. DOI:10.1111/apa.14196

14. Neri S, Navarro D, López K, Candelario E, Rossell A, Nogales A, Materan V, Belandria K. Trastornos gastrointestinales funcionales en el lactante. Prevalencia en una consulta gastroenterológica. Rev GEN 2015;69(4):133-136.

15. Velasco-Benitez CA, Chanis R, Jativa E, Mejia M, Moreno JE, Ramirez CR, Villamarin EA, Gomez JF. Coexistencia de trastornos gastrointestinales funcionales en lactantes y preescolares latinoamericanos. Rev Colomb Gastroenterol 2019;34(4):370-375.

Acta Gastroenterol Latinoam 2022;52(4):454-463

16. Gordon M, Biagioli E, Sorrenti M, Lingua C, Moja L, Banks SS, Ceratto S, Savino F. Dietary modifications for infantile colic. Cochrane Database of Systematic Reviews. 2018, Issue 10. Art. No.: CD011029. DOI: 10.1002/14651858.CD011029.pub2

17. Firooz M, Eidy F, Abbasi Z, Hosseini SJ. Parental Factors Affecting the Incidence of Infantile Colic: A Systematic Review. J Pediatr Rev 2021;9(2):105-114. DOI : 10.32598/ jpr.9.2.930.1

18. Christian CW, Block R, Committee on Child Abuse and Neglect. Abusive Head Trauma in Infants and Children. Pediatrics 2009;123(5):1409-1411.

19. Gondim MMBB, Goulart AL, de Morais MB. Prematurity and functional gastrointestinal disorders in infancy: a cross-sectional study. Sao Paulo Med J 2022. DOI: 10.1590/1516-3180.2021. 0622.R1.29102021

20. Wolke D, Bilgin A, Samara M. Systematic Review and Meta-Analysis: Fussing and Crying Durations and Prevalence of Colic in Infants. J Pediatr 2017;185(6):55-61.e4. DOI: 10.1016/j.jpeds.2 017.02.020

21. Velasco-Benitez CA, Saps M, Huetio Y. Colic-type abdominal pain in children under 12 months according to Rome IV. J Pediatr Gastroenterol Nutr 2022;75(10)Suppl 1:S457-S458.

22. Dos Reis AP, de Paula ALPP, da Silva BL, Miguel ERA, Lopes LDG, Santana NCS, Santos TS, Demarchi IG, Teixeira JJ. Evidence of Lactobacillus reuteri to reduce colic in breastfed babies: Systematic review and meta-analysis. Complement Ther Med 2021;63:102781. DOI : 10.1016/j. ctim.2021.102781

23. Gutiérrez-Castrellón P, Indrio F, Bolio-Galvis A, Jiménez-Gutiérrez C, Lopez-Velazquez G. Efficacy of Lactobacillus reuteri DSM 17938 for infantile colic Systematic review with network meta-analysis. Medicine 2017;96:51. DOI: 10.1097/MD.00000 00000009375

24. Sung V, D'Amico F, Cabana MD, Chau K, Koren G, Savino F, Szajewska H, Deshpande G, Dupont C, Indrio F, Mentula S, Partty A, Tancredi D. Lactobacillus reuteri to treat infant colic: a meta-analysis. Pediatrics 2018;141(1):e20171811. DOI: 10.1542/ peds.2017-1811

25. Ong TG, Gordon M, Banks SSC, Thomas MR. Probiotics to prevent infantile colic. Cochrane Database of Systematic Reviews. 2019, Issue 3. Art. No.:CD012473. DOI: 10.1002/14651858. CD012473.pub2

26. Skonieczna-Żydecka K, Janda K, Kaczmarczyk M, Marlicz W, Loniewski I, Loniewska B. The effect of probiotics on symptoms, gut microbiota and inflammatory markers in infantile colic: a systematic review, meta-analysis and meta-regression of randomized controlled trials. J Clin Med 2020;9(4):999. DOI: 10.3390/ jcm9040999

27. Schreck A, Gregory PJ, Jalloh MA, Cochrane RZ, Hein DJ. Probiotics for the treatment of infantile colic: a systematic review. J Pharm Pract 2017;30(3):366-374. DOI: 10.1177/08971 90016634516

28. Harb T, Matsuyama M, David M, Hill RJ. Infant colic-what works: a systematic review of interventions for breast-fed infants. J Pediatr Gastroenterol Nutr 2016;62(5):668-686. DOI: 10.1097/MPG.0000000000001075

29. Dryl R, Szajewska H. Probiotics for management of infantile colic: a systematic review of randomized controlled trials. Arch Med Sci 2018;5:1137-1143.

462
Cólico infantil: experiencia SLAGHNP Carlos Alberto Velasco-Benítez y col.

30. Ellwood J, Draper-Rodi J, Carnes D. Comparison of common interventions for the treatment of infantile colic: a systematics review of reviews and guidelines. BMJ Open 2020;10(2):e035405. DOI: 10.1136/bmjopen-2019-035405

31. Xu M, Wang J, Wang N, Sun F, Wang L, Liu XH. The efficacy and safety of the probiotic bacterium lactobacillus reuteri DSM 17938 for infantile colic: a meta-analysis of randomized controlled trials. PLoS One 2015;10(10): e0141445. DOI: 10.1371/ journal.pone.0141445

32. Shirazinia R, Golabchifar AA, Fazeli MR. Efficacy of probiotics for managing infantile colic due to their anti-inflammatory properties: a meta-analysis and systematic review. Clin Exp Pediatr 2021;64(12):642-651. DOI: 10.3345/cep.2020.01676

33. Al Qahtani AM, Ahmed HM. The effect of educational program for new mothers about infant abdominal massage and foot reflexology for decreasing colic at Najran City. Compr Child Adolesc Nurs 2021;44(1):63-78. DOI: 10.1080/24694193.2020. 1740827

34. Holm LV, Jarbøl DE, Christensen HW, Søndergaard J, Hestbaek L. The effect of chiropractic care on infantile colic: results from a single-blind randomised controlled trial. Chiropr Man Therap 2021;29(1):15. DOI: 10.1186/s12998-021-00371-8

35. Holm LV, Vach W, Jarbøl DE, Christensen HW, Sondergaard J, Hestbaek L. Identifying potential treatment effect modifiers of the effectiveness of chiropractic care to infants with colic through prespecified secondary analyses of a randomised controlled trial. Chiropr Man Therap 2021;29(1):16. DOI: 10.1186/s12998-021-00373-6

36. Karatas N, Isler A. Is foot reflexology effective in reducing colic symptoms in infants: a randomized placebo-controlled trial. Complement Ther Med 2021;59:102732. DOI: 10.1016/j. ctim.2021.102732

37. Gordon M, Gohil J, Banks SSC. Parent training programmes for managing infantile colic. Cochrane Database of Systematic Reviews. 2019, Issue 12. Art. No.: CD012459. DOI: 10.1002/ 14651858.CD012459.pub2

38. Landgren K, Hallström I, Tiberg I. The effect of two types of minimal acupuncture on stooling, sleeping and feeding in infants with colic: secondary analysis of a multicentre RCT in Sweden (ACU-COL). Acupunct Med 2021;39(2):106-115. DOI: 10.1177/0964528420920308

39. Nurko S, Benninga MA, Solari T, Chumpitazi BP. Pediatric Aspects of Nutrition Interventions for Disorders of Gut-Brain Interaction. Am J Gastroenterol 2022;117:995-1009. DOI: 10.14309/ajg.0000000000001779

40. Turco R, Russo M, Bruzzese D, Staiano A. Efficacy of a partially hydrolysed formula, with reduced lactose content and with Lactobacillus reuteri DSM 17938 in infant colic: A double blind, randomised clinical trial. Clin Nutr 2021;40(2):412-419. DOI: 10.1016/j.clnu.2020.05.048

41. Indrio F, Enninger A, Aldekhail W, Al-Ghanem G, Al-Hussaini A, Al-Hussaini B, Al-Refaee F, Al-Said K, Eid B, Faysal W, Hijazeen R, Isa HMA, Onkarappa D, Rawashdeh M, Rohani P, Sokhn M. Management of the most common functional gastrointestinal disorders in infancy: the Middle East Expert Consensus. Pediatr Gastroenterol Hepatol Nutr 2021;24(4):325-336. DOI: 10.5223/pghn.2021.24.4.325

Acta Gastroenterol Latinoam 2022;52(4):454-463

463
Cólico infantil: experiencia SLAGHNP Carlos Alberto Velasco-Benítez y col.

Prevalencia de malnutrición en pacientes con cirrosis hepática: estudio observacional

María Cielo Gutiérrez · Andrea Curia · Enzo Rey · Juan Antonio Sordá · Jorge Daruich · Esteban González Ballerga

División de Gastroenterología. Hospital de Clínicas José de San Martín, Universidad de Buenos Aires. Ciudad Autónoma de Buenos Aires, Argentina.

Acta Gastroenterol Latinoam 2022;52(4):464-475

Recibido: 22/10/2022 / Aceptado: 08/12/2022 / Publicado online: 21/12/2022 / https://doi.org/10.52787/agl.v52i4.265

Resumen

Introducción. La malnutrición es una entidad frecuente en pacientes con cirrosis hepática y tiene un impacto negativo en la mortalidad. Objetivo. Describir la prevalencia de malnutrición mediante valoración global subjetiva y antropometría en pacientes con cirrosis hepática, y analizar su relación con la severidad y etiología de la enfermedad. Métodos. Se incluyeron pacientes > 18 años con cirrosis hepática, ambulatorios o internados, de forma consecutiva entre mayo de 2016 y abril de 2019, a quienes se les realizó una evaluación nutricional que incluyó valoración global subjetiva y antropometría. Se midió la fuerza muscular por dinamometría. Se registraron los scores de severidad de Child Pugh y MELD. Para comparar proporciones, se utilizó test de Chi cuadrado o prueba exacta de Fisher, variables numéricas y prueba de Mann-Whitney. El nivel de significación estadística fue de p < 0,05. Resultados. Se analizaron 436 pacientes (50,2% mujeres), edad 59,6 ± 13 años, CP A 69,3%, B 22,2% y C 8,5%; MELD ≥ 15 puntos

12,8%. El 46,3% presentó VGS y antropometría normales. La concordancia absoluta entre valoración global subjetiva y antropometría fue de 59,2% (kappa = 0,25). Presentaron algún grado de malnutrición el 49,5% por valoración global subjetiva y el 26,1% por antropometría. Presentaron malnutrición por valoración global subjetiva el 36,1%, 77,3%, 86,5% en CP A, B y C, respectivamente, mientras que, por antropometría, presentaron esta condición el 20,5% de aquellos con CP A, el 33% con CP B y el 54% con CP C. También se observó una asociación significativa según score MELD por antropometría y valoración global subjetiva (p < 0,0001). Los pacientes con etiología alcohólica presentaron un mayor grado de malnutrición. Conclusión. La malnutrición es común en pacientes con cirrosis hepática, con una alta prevalencia en pacientes compensados. La concordancia entre valoración global subjetiva y antropometría fue baja, por lo que sería conveniente el uso de herramientas con valoraciones subjetivas y objetivas. La detección temprana de malnutrición permitiría una intervención precoz.

Palabras claves. Malnutrición, estado nutricional, evaluación nutricional, cirrosis hepática, nutrición.

Prevalence of Malnutrition in Patients with Liver Cirrhosis: An Observational Study

Summary

Correspondencia: María Cielo Gutiérrez

Correo electrónico: mcielogutierrez@gmail.com

Acta Gastroenterol Latinoam 2022;52(4):464-475

Introduction. Malnutrition is a frequent entity in patients with liver cirrhosis and has a negative impact on mortality. Aim. To describe the prevalence of malnutrition by means of

464
♦MANUSCRITO ORIGINAL

subjective global assessment and anthropometry in patients with liver cirrhosis, and to analyze its relationship with the severity and etiology of the disease. Methods. We included patients > 18 years with liver cirrhosis, ambulatory or hospitalized, consecutively between May 2016 and April 2019; they underwent nutrition evaluation through subjective global assessment and anthropometry. Muscle strength was measured by dynamometry. Child-Pugh and MELD severity scores were evaluated. Statistical analysis: Chi-square test or Fisher's exact test and Mann-Whitney test. The statistical significance value was p <0.05. Results. A total of 436 patients (50.2% women) were evaluated, age 59.6 ± 13 years, CP A 69.3%, B 22.2% and C 8.5%, MELD ≥15 points 12.8%. subjective global assessment and anthropometry were normal in 46.3% of the cases. The absolute concordance between subjective global assessment and anthropometry was 59.2% (kappa = 0.25); 49.5% of the patients presented some degree of malnutrition by subjective global assessment and 26.1% by anthropometry. This condition was diagnosed by aforementioned assessment in 36.1%, 77.3%, 86.5% in CP A, B and C, respectively, while by anthropometry, malnutrition was diagnosed in 20.5% of those with CP A, in 33% with CP B and in 54% with CP C. A significant association was also found according to the MELD score by anthropometry and subjective global assessment (p < 0.0001). Patients with alcoholic etiology presented greater malnutrition. Conclusion. Malnutrition is common in patients with liver cirrhosis, with a high prevalence in compensated patients. The concordance between subjective global assessment and anthropometry was low, so the complementary use of subjective and objective tools would be convenient. Early detection of malnutrition would allow timely intervention.

Keywords. Malnutrition, nutritional status, nutritional assessment, liver cirrhosis, nutrition.

Abreviaturas

MN: Malnutrición.

CH: Cirrosis hepática.

VGS: Valoración global subjetiva.

CP: Child Pugh.

IMC: Índice de masa corporal.

CMMB: Circunferencia media muscular del brazo.

BIA: Análisis de impedancia eléctrica.

DEXA: Absorciometría de rayos X de energía dual.

TC: Tomografía computarizada.

RMI: Resonancia magnética de imagen.

PT: Pliegue tricipital.

PB: Perímetro braquial.

VIH: Virus de la inmunodeficiencia humana.

HVB: Hepatitis del virus B.

HVC: Hepatitis del virus C. EHGNA: Enfermedad por hígado graso no alcohólico.

HAI: Hepatitis autoinmune.

EASL: Asociación Europea para el Estudio de Enfermedad Hepática.

EPS: Encefalopatía portosistémica.

SHR: Síndrome hepatorrenal.

PBE: Peritonitis bacteriana espontánea.

HPCS: Hipertensión portal clínicamente significativa.

OR: Odds Ratio.

RFG-GA: Royal Free Hospital Global Assessment. RIC 25-75: Rango intercuartilo 25-75%

Introducción

La cirrosis hepática (CH) es el estadio final de la enfermedad hepática crónica. Es la culminación de un largo proceso que se inicia con la inflamación hepática crónica y termina con la formación de septos fibrosos y nódulos de regeneración, que representan el sustrato morfológico de esta enfermedad.1

Es una entidad potencialmente reversible, dinámica y con pronóstico variable, dependiendo del estadio de la enfermedad. La CH es en sus fases iniciales asintomática y se denomina a esta etapa cirrosis compensada, que puede ser seguida por una segunda fase sintomática, relativamente corta, de meses o años de duración, denominada cirrosis descompensada. En ella aparecen las complicaciones características de esta entidad: ascitis, hemorragia digestiva variceal, encefalopatía portosistémica o ictericia no obstructiva. Esta etapa conlleva el riesgo de internaciones, alteración en la calidad de vida de los pacientes y de muerte en ausencia de trasplante hepático, así como un mayor riesgo de hepatocarcinoma.2

La CH es una causa importante y creciente de morbimortalidad en la Argentina y en el mundo. Es la 14va causa de muerte en adultos en el mundo y la 4ta en Europa central.3

La malnutrición (MN), la sarcopenia y la fragilidad son condiciones frecuentes en pacientes con CH, particularmente en aquellos con cirrosis descompensada, y que, si bien son entidades diferentes, suelen superponerse de forma simultánea, contribuyendo al deterioro físico y al aumento de la morbimortalidad.4 La MN se define como “un estado ocasionado por la falta de ingesta o absorción de nutrientes, que conlleva a una alteración de la composición corporal (disminución de la masa libre de grasa) y de la masa celular corporal, lo que conduce a una disminución de la función física y mental y a un deterioro

Acta Gastroenterol Latinoam 2022;52(4):464-475

465
Prevalencia de malnutrición en pacientes con cirrosis hepática: estudio observacional María Cielo Gutiérrez y col.

del resultado clínico de la enfermedad”.5 El término MN engloba tanto la deficiencia como los excesos del estado nutricional. En el presente trabajo se utilizó el término MN como sinónimo de desnutrición.6

La MN es un factor de riesgo independiente de mortalidad en pacientes con CH, que contribuye a la aparición de complicaciones.7 La patogénesis de la MN en CH es compleja y multifactorial, debiéndose a una combinación de factores.8-10 La ingesta inadecuada y/o la pobre calidad de la dieta, la alteración en la absorción y en el metabolismo de los nutrientes son factores que contribuyen a deteriorar el estado nutricional en estos pacientes.

La prevalencia de la MN se estima entre un 20% y un 50%, variando ampliamente según los métodos utilizados para la evaluación nutricional y el grado de disfunción hepática, pudiendo llegar hasta un 90% en pacientes en lista de espera de trasplante.11-13

La evaluación del estado nutricional en el paciente con CH es compleja, ya que las variables antropométricas, el índice de masa corporal (IMC) y los parámetros de laboratorio, como la albúmina, pueden estar afectados por las condiciones propias de la enfermedad y los factores desencadenantes o etiológicos. El IMC tiene limitaciones en los pacientes con ascitis o edemas, por lo que no se recomienda su uso como único marcador del estado nutricional.14

Dentro de la composición corporal, se pone énfasis en la masa muscular como componente principal de la sarcopenia, definida como una reducción generalizada de la fuerza muscular y la cantidad de masa muscular, debido al envejecimiento (sarcopenia primaria) o a la enfermedad aguda o crónica (sarcopenia secundaria), incluida la enfermedad hepática crónica.15 El Grupo de Trabajo Europeo sobre Sarcopenia en Personas Mayores (EWGSOP, por sus siglas en inglés)21 propone tres pasos para el diagnóstico de sarcopenia, mediante la evaluación de la fuerza muscular, la cantidad de masa muscular y el rendimiento físico. Específicamente, la sarcopenia es probable cuando se detecta baja fuerza muscular, y el diagnóstico se confirma por la presencia de baja cantidad o calidad muscular. Cuando se detecta baja fuerza muscular, baja cantidad/calidad muscular y bajo rendimiento físico, se considera que la sarcopenia es grave.21 Por su parte, también la depleción de la masa grasa (adipopenia) se asoció con descompensación en pacientes con CH. En pacientes con enfermedades hepáticas avanzadas, la adipopenia podría ocurrir antes del desarrollo de la sarcopenia.30

Para la evaluación de la fuerza muscular, se propone el uso de la fuerza de agarre o el test de levantamiento de la silla.21 Para la cuantificación de la masa muscular, existen distintos estudios como medidas antropométricas: circun-

Acta Gastroenterol Latinoam 2022;52(4):464-475

ferencia media muscular del brazo (CMMB), análisis de impedancia eléctrica (BIA), absorciometría de rayos X de energía dual (DEXA), ultrasonido o tomografía computarizada (TC) / resonancia magnética de imagen (RMI).15

El análisis de imágenes por TC del músculo psoas a nivel de la L3 se reconoce casi universalmente como un método específico para cuantificar la pérdida muscular; sin embargo, es un método costoso, que requiere un equipo y software especializados, con exposición a la radiación y con baja disponibilidad en nuestro medio para su medición.16

La evaluación de la masa muscular también puede realizarse mediante métodos antropométricos sencillos junto a la cama del paciente,15 que incluyen el pliegue tricipital (PT) y el perímetro braquial (PB), para el posterior cálculo de la CMMB, como referente de la masa muscular. Aun con sus limitaciones, son los más utilizados en la práctica clínica, debido a su aplicabilidad y disponibilidad. Tanto el PT como la CMMB tienen su valor pronóstico demostrado para la mortalidad en pacientes con CH, siendo mayor el del CMMB.17 En comparación con el diagnóstico de sarcopenia mediante imágenes transversales (por TC o RMI), el valor predictivo de CMMB se observó bueno, con un área bajo la curva ROC (AUROC) de 0,75 para varones y 0,84 para mujeres.18 Por su parte, también puede incluirse en la evaluación nutricional herramientas de valoración global en pacientes con CH. La herramienta de valoración global subjetiva (VGS) utiliza datos recopilados durante la evaluación clínica para determinar el estado nutricional sin recurrir a mediciones objetivas.19

La valoración del estado nutricional del paciente con CH no se realiza de forma rutinaria, pudiéndose deber a la falta de equipos multidisciplinarios para el abordaje de la problemática, por la complejidad de su evaluación ante la diversidad de métodos, o bien, por el desconocimiento de la importancia de este tema en esta población, sobre todo en estadios tempranos de la enfermedad.

Debido a que la MN es un predictor independiente de morbimortalidad, conocer el estado nutricional de los pacientes con CH es fundamental para instaurar una intervención nutricional adecuada y precoz. El objetivo de este estudio es describir la prevalencia de MN mediante técnicas utilizadas habitualmente en la práctica clínica, como VGS y antropometría en pacientes con CH, y analizar su relación con la severidad y la etiología de la enfermedad hepática.

Materiales y métodos

Se realizó un estudio prospectivo y observacional en una muestra consecutiva de pacientes con CH de diferentes etiologías, en seguimiento por la Sección Hepatología

466
Prevalencia de malnutrición en pacientes con cirrosis hepática: estudio observacional María Cielo Gutiérrez y col.

de la División Gastroenterología de un hospital público universitario, durante el período comprendido entre los años 2016 y 2019.

Fueron incluidos pacientes mayores de 18 años con diagnóstico confirmado de CH (basado en criterios clínico, histológico y/o bioquímico), que fueron evaluados nutricionalmente. Los criterios de exclusión fueron presentar, al momento de la inclusión, diagnóstico de neoplasias hepáticas y/o extrahepáticas, hipertiroidismo no controlado, diabetes descompensada, enfermedad celíaca sin tratamiento, virus de la inmunodeficiencia humana (VIH) o embarazo en curso.

Los pacientes fueron evaluados por el médico hepatólogo, quien realizó la confección de la historia clínica con anamnesis y examen físico, ya sea en consultorio externo o en internación. En la primera consulta, se indicaron y/o evaluaron los estudios complementarios: laboratorio clínico, ecografía abdominal y videoendoscopía digestiva alta. Se clasificó el estadio de la enfermedad hepática según el modelo Child Pugh y MELD. Simultáneamente, se les realizó una evaluación del estado nutricional por VGS según Detsky,19 y una evaluación antropométrica (CMMB y PT) por un/a licenciado/a en nutrición entrenado. Asimismo, se midió peso, talla y fuerza muscular.

La investigación se realizó según los preceptos establecidos en el Código Internacional de Ética Médica y los que competen a las investigaciones biomédicas en humanos contemplados en la Declaración de Helsinki (Seúl, 2008).

Variables

Las variables incluidas fueron: Valoración global subjetiva (VGS) del estado nutricional: La VGS comprendió la integración de datos de la historia clínica, como cambio de peso, cambios en la ingesta, presencia de síntomas gastrointestinales, capacidad funcional, grado de estrés y examen físico del paciente (evidencia subjetiva de pérdida de masa grasa y masa muscular, presencia de edemas y ascitis). Se clasificó a los pacientes en A: normonutrido, B: MN moderada y C: MN severa.

Medidas antropométricas: Para la evaluación antropométrica se evaluaron el peso y la altura, utilizando balanza CAM y tallímetro. Se calculó el índice de masa corporal (IMC – kg/m2) solo en aquellos pacientes que no presentaban ascitis y/o edemas. Se tomaron las medidas de PT y PB para su posterior cálculo de la CMMB. El PT se utilizó para la medición de pliegues grasos con un calibre de Lange (calibrador de pliegues grasos Holtain-

Holtain Ltd, Crymych, UK), en el punto medio entre el acromion y el olécranon del brazo derecho; se tomó el valor promedio de tres medidas consecutivas. El PB se midió en el mismo sitio del PT con una cinta métrica inextensible. La CMMB se obtuvo aplicando la siguiente fórmula: CMMB (cm) = PB (cm) – (0,314xPT (mm)). Los resultados se compararon con valores de referencia, utilizando tablas de percentilos según sexo y edad.20 Se consideraron alterados aquellos valores de PT (indicador de masa grasa) o de CMMB (indicador de masa muscular) por debajo del percentilo 5. De acuerdo con los percentilos del PT y de la CMMB, se categorizó el estado nutricional del paciente por antropometría en: normonutrido: ninguno de los indicadores alterado; MN moderada: uno de los indicadores alterado, y MN severa: ambos indicadores alterados, con el fin de compararlo con la categorización de la VGS.31

Fuerza muscular: Para la evaluación de la fuerza muscular, se midió la fuerza de agarre con el dinamómetro Jamar correctamente calibrado. Se le pidió al paciente que empuñe el dinamómetro con su mano dominante y correctamente sentado para que realice su mejor esfuerzo de fuerza. La prueba se repitió tres veces y se obtuvo un promedio. Se clasificó en fuerza muscular disminuida: mujer < 16 kg; varón < 27 kg.21

Severidad de la cirrosis hepática (CH): Se evaluó según los scores de CP y MELD.22 Para el primero, se utilizaron tres parámetros de laboratorio: bilirrubinemia, albuminemia y tiempo de protrombina y dos parámetros clínicos: ascitis y encefalopatía. Se clasificó como CP A score < 6, CP B entre 6 y 9 y CP C > 10.23

Etiología de la cirrosis hepática (CH): Se diagnosticó por parámetros clínicos, bioquímicos y/o histológicos y se clasificó la cirrosis como secundaria a hepatitis virales (B y C - HVB y HVC), alcoholismo, enfermedad por hígado graso no alcohólico (EHGNA) -con consumo de alcohol menor a 20 gr/día en mujeres y < 30 gr/día varones-, hepatitis autoinmune (HAI) y otras (colangitis biliar primaria, colangitis biliar secundaria, hemocromatosis hereditaria, síndrome de superposición).

Consumo significativo de alcohol: Se consideró consumo significativo de alcohol, independientemente de la etiología de la cirrosis hepática, al consumo mayor o igual a 20 gr/día en la mujer y mayor o igual a 30 gr/día en varones, según la Organización Mundial de la Salud.

Presencia de complicaciones: Se consideraron las complicaciones propias de la CH y los criterios diagnósticos considerados a los efectos del estudio fueron definidos, de acuerdo con lo establecido en las guías de la Asocia-

Acta Gastroenterol Latinoam 2022;52(4):464-475

467
Prevalencia de malnutrición en pacientes con cirrosis hepática: estudio observacional María Cielo Gutiérrez y col.

Prevalencia de malnutrición en pacientes con cirrosis hepática: estudio observacional María Cielo Gutiérrez y col.

ción Europea para el Estudio de Enfermedad Hepática (EASL, por sus siglas en inglés),24 como presente/ausente de ascitis, hemorragia digestiva alta variceal, encefalopatía portosistémica (EPS), síndrome hepatorrenal (SHR) y peritonitis bacteriana espontánea (PBE).

Presencia de otras infecciones bacterianas: Presente/ausente de neumonía, infección del tracto urinario e infección de piel y partes blandas.

Hipertensión portal clínicamente significativa (HPCS): Se consideró como HPCS la presencia de alguna de las siguientes manifestaciones: várices esofágicas, ascitis, hemorragia digestiva variceal, resangrado variceal, PBE, EPS y/o SHR.

Métodos estadísticos: Los resultados se presentan como porcentaje para las variables categóricas y como media ± desvío estándar (DE) o mediana y rango para variables numéricas. Se calcularon intervalos de confianza (IC) para el 95% a la frecuencia de MN. Para comparar tres grupos, se utilizó prueba de Chi cuadrado para proporciones y prueba de Kruskal-Wallis o test de la varianza para variables numéricas. Para evaluar la relación entre MN moderada o severa (variable dependiente dicotómica) con variables independientes, se calcularon Odds Ratios (OR) crudos y ajustados con regresión logística. En todos los casos se consideró significativo un valor de p < 0,05.

Resultados

Se incluyeron 436 pacientes con CH; la mediana de edad fue 59,6 años; 49,8% de sexo masculino. La etiología de la CH fue principalmente por causa viral por HVC y HVB (45,6%), seguida de alcohol y HAI en un 15,8% y EHGNA (8,72%). La descripción de las características clínicas de la muestra se presenta en la Tabla 1.

Estado nutricional según valoración global subjetiva (VGS)

Al analizar el estado nutricional según VGS, el 50,7% (n= 220) se encontraba normonutridos, el 33% (n= 144) presentaba MN moderada y el 16,5% (n= 72), MN severa.

En el análisis univariado, los pacientes con MN según VGS presentaron en forma estadísticamente significativa mayor edad (p < 0,0028), mayor frecuencia de sexo masculino (p < 0,014), etiología alcohólica (p < 0,00004) y consumo de alcohol (p < 0,000).

Los pacientes con algún grado de MN presentaron una mayor frecuencia de complicaciones de la CH, como ascitis, PBE, EPS y otras infecciones bacterianas (p < 0,000).

Al evaluar la asociación entre el estado nutricional por

Gastroenterol Latinoam 2022;52(4):464-475

Tabla 1. Características clínicas en primera evaluación nutricional

Características clínicas Pacientes con CH (n= 436)

Edad (años) Mediana (rango) 59,56 (18-86)

Sexo n (%) - Femenino 219 (50,23) - Masculino 217 (49,77)

Etiología n (%) - Viral (HVC, HVB) 199 (45,64) - Alcohol 69 (15,83) - HAI 68 (15,60) - EHGNA 38 (8,72) - Otras 62 (14,22)

Consumo significativo de alcohol n (%) 120 (7,52) Presencia de várices esofágicas n (%) 196 (44,95)

Complicaciones de la CH n (%) - Ascitis 123 (28,21) - Hemorragia digestiva variceal 47 (10,78) - Resangrado variceal 8 (1,83) - PBE 19 (4,36) - EPS 57 (13,07) - SHR 6 (1,38)

Presencia de otras infecciones (respiratorias, 78 (17,89) piel, partes blandas y urinarias) n (%) Clasificación de severidad de CH n (%)

- Score Child Pugh A 302 (69,27)

- Score Child Pugh B 97 (22,25) - Score Child Pugh C 37 (8,49)

- MELD Mediana (rango) 9,59 (6-27) - Puntaje MELD ≥ a 15 puntos n (%) 56 (12,85)

CH: cirrosis hepática, HAI: hepatitis autoinmune, EHGNA: enfermedad por hígado graso no alcohólica, PBE: peritonitis bacteriana espontánea, EPS: encefalopatía portosistémica, SHR: síndrome hepatorrenal.

VGS y la severidad de la enfermedad hepática, se observó una asociación por score de CP (p < 0,0000001) y MELD (p < 0,0001). Los pacientes con CP A presentaron algún grado de MN en el 36%, mientras que en CP B y en CPC fue del 77,3% y 86,5%, respectivamente.

Los valores promedio del score MELD fueron significativamente superiores entre los pacientes cirróticos con MN severa 12,5 (RIC 25-75: 6-27) en comparación con aquellos con MN moderada y normonutridos (8 (6-26) y 7 (6-22) respectivamente).

468
Acta

Prevalencia de malnutrición en pacientes con cirrosis hepática: estudio observacional María Cielo Gutiérrez

Figura 1. Estado nutricional según Valoración Global Subjetiva (VGS) y Score de Child Pugh

n= 436

Figura 2. Estado nutricional según Valoración Global Subjetiva (VGS) y Score de MELD

p < 0,0001

Acta Gastroenterol Latinoam 2022;52(4):464-475

469
y col.
0% 70% 30% 50% 10% 60% 20% 40% Normonutridos Moderada Severa
CP A 64% 31% 5%
CP B 23% 41% 36% (n=97) CP C 14% 24% 62%
(n=302)
(n=37) p < 0,0000001
MELD
Normal 20 15 5 25
10 Moderada
7 8 12,5
Severa
n= 436

Prevalencia de malnutrición en pacientes con cirrosis hepática: estudio observacional María Cielo Gutiérrez

En las Figuras 1 y 2, se observan la relación del estado nutricional según VGS y la severidad de la enfermedad según CP y MELD.

Para evaluar la relación entre la severidad de la CH

y la presencia de MN moderada o severa por VGS, se calcularon OR crudos y ajustados por todas las variables (modelo completo) que fueron significativas en el análisis individual. Los resultados se presentan en la Tabla 2.

Tabla 2. Relación entre las características clínicas y la presencia de MN moderada o severa según VGS Normonutridos Malnutridos OR Crudo OR ajustado (n=220) (n=216) (IC 95%) (IC 95%)

Child Pugh A 193 (87,73) 109 (50,46) 1 1

Child Pugh B 22 (10) 75 (34,72) 6,04 (3,55-10,26) 3,22 (1,76-5,88)*

Child Pugh C 5 (2,27) 32 (14,81) 11,33 (4,29-29,93) 3,36 (0,99-11,41)

MELD ≥ 15 6 (2,73) 50 (23,15) 10,74 (4,50-25,66) 3,46(1,19-10,03)*

Edad ≥ 65 71 (32,27) 100 (46,30) 1,81 (1,23-2,67) 1,67 (1,07-2,62)*

Sexo masculino 105 (47,73) 112 (51,85) 1,18 (0,81-1,72) 0,88 (0,54-1,45)

Etiología

- Alcohol 19 (8,64) 50 (23,15) 3,18 (1,81-5,62) 1,24 (0,51-3,01) - Autoinmune 55 (25) 35 (16,20) 0,58 (0,36-0,93) 0,76 (0,43-1,33)

Consumo significativo de alcohol** 43 (19,55) 77 (35,65) 2,28 (1,48-5,52) 1,11 (0,55-2,22)

HPCS 91 (41,36) 154 (71,30) 3,52 (2,36-5,25) 1,65 (1,02-2,66)*

Infecciones 26 (11,82) 56 (25,93) 2,61 (1,57-4,35) 1,49 (0,81-2,73)

HPCS: Hipertensión portal clínicamente significativa, *: Estadísticamente significativo (p < 0,05), **Hombres: > 30 g/día OH; Mujeres: > 20 g/día OH.

Las variables que mostraron asociación con MN luego de ajustar en el modelo completo fueron score CP B, MELD ≥ 15 puntos, edad ≥ 65 e HPCS.

Estado nutricional según antropometría

Al evaluar el estado nutricional de los pacientes con CH según antropometría, el 73,8% (n= 322) se encontraba normonutridos, el 22,9% (n= 100) presentaba MN moderada y el 3,2% (n= 14), MN severa. Como parte de la antropometría, el PT, indicador de la masa grasa, se encontró alterado en el 5,3% pacientes (n= 23), mientras que se evidenció una CMMB alterada, indicador de masa muscular, en el 23,4% de los pacientes (n= 102).

Al emplear antropometría como herramienta de evaluación nutricional, el porcentaje de pacientes con MN fue significativamente superior en aquellos de etiología alcohólica (p < 0,001). Por el contrario, los pacientes con HAI presentaron menor grado de MN (p < 0,005).

Al igual que en la VGS, los pacientes que tuvieron complicaciones como ascitis (p < 0,000), PBE (p < 0,045),

Gastroenterol Latinoam 2022;52(4):464-475

EPS (p < 0,009) y otras infecciones bacterianas (p < 0,001) presentaron una asociación significativa con su estado nutricional, con mayor porcentaje de algún grado de MN.

Se observó una asociación significativa entre el estado nutricional por antropometría y la severidad de enfermedad hepática por score de CP (p < 0,0001) y MELD (0,0001). Los pacientes con CP A presentaron algún grado de MN en el 20,5%, mientras que en CP B y C se observó MN en el 33% y 54%, respectivamente. Los valores promedio del score de MELD fueron significativamente superiores entre los pacientes cirróticos con MN severa (mediana= 13; rango =6-22) en comparación con aquellos con MN moderada y normonutridos (mediana= 9; rango= 6-27 y mediana= 8; rango = 6-25; respectivamente).

En las Figura 3 y en la Figura 4, se observan la relación del estado nutricional según antropometría y la severidad de la enfermedad según CP y MELD.

Para evaluar la relación entre la severidad de la cirrosis y la presencia de MN moderada o severa por antropometría,

470
Acta
y col.

Prevalencia de malnutrición en pacientes con cirrosis hepática: estudio observacional

María Cielo Gutiérrez

Severa

n= 436

n= 436

471
Acta Gastroenterol Latinoam 2022;52(4):464-475 y col.
0% 90% 30% 50% 10% 70% 20% 40% Normonutridos Moderada Severa
CP C 46% 46% 8%
80% 60% CP A 79% 19% 2%
CP B 67% 27% 6%
Figura 3. Estado nutricional según antropometría y Score de Child Pugh
(n=37) p < 0,0001
(n=302)
(n=97)
MELD
Normal 20 15 5 25
10 Moderada
8 9 13
Figura 4. Estado nutricional según antropometría y Score de MELD
p < 0,0001

Prevalencia de malnutrición en pacientes con cirrosis hepática: estudio observacional

se calcularon OR crudos y ajustados por todas las variables (modelo completo) que fueron significativas en el análisis individual. Los resultados se presentan en la Tabla 3.

La variable que mostró asociación con MN luego de ajustar en el modelo completo fue el antecedente de otras infecciones bacterianas [OR 2,01 (1,14-3,54)].

Tabla 3. Relación entre las características clínicas y la presencia de MN moderada o severa según antropometría

Normonutridos Malnutridos

OR Crudo OR ajustado (n=322) (n=114) (IC 95%) (IC 95%)

Child Pugh A 240 (74,53) 62 (54,39) 1 1

Child Pugh B 65 (20,19) 32 (28,07) 1,9 (1,15-3,16) 1,07 (0,58-1,98)

Child Pugh C 17 (5,28) 20 (17,54) 4,55 (2,25-9,21) 2,10 (0,78-5,67)

MELD ≥ 15 30 (9,32) 26 (22,81) 2,88 (1,62-5,12) 1,10 (0,50-2,46)

Edad ≥ 65 125 (38,82) 46 (40,35) 1,07 (0,69-1,65) 1,08 (0,67-1,76)

Sexo masculino 152 (47,20) 65 (57,02) 1,48 (0,96-2,28) 0,98 (0,58-1,67)

Etiología

- Alcohol 39 (12,11) 30 (26,32) 2,59 (1,52-4,42) 0,99 (0,45-2,22) - Autoinmune 74 (22,98) 16 (14,04) 0,55 (0,30-0,99) 0,75 (0,39-1,46)

Consumo significativo de alcohol** 71 (22,05) 49 (42,98) 2,67 (1,69-4,20) 1,90 (0,97-3,76)

HPCS 163 (50,62) 82 (71,93) 2,50 (1,57-3,97) 1,57 (0,90-2,73)

Otras infecciones bacterianas 47 (14,60) 35 (30,70) 2,59 (1,57-4,29) 2,01 (1,14-3,54)*

HPCS: hipertensión portal clínicamente significativa, *: Estadísticamente significativo (p < 0,05), **Hombres: > 30 g/día OH; Mujeres: > 20 g/día OH.

Concordancia entre valoración global subjetiva (VGS) y antropometría

Se analizó el grado de concordancia, con el objetivo de estimar hasta qué punto las dos valoraciones nutricionales, VGS y antropometría, coinciden en su medición. Se evidenció que el grado de concordancia de ambos métodos de valoración del estado nutricional fue del 59,2% (coeficiente kappa= 0,25).

Índice de masa corporal (IMC)

Se calculó el IMC en 313 pacientes que no presentaron ascitis/edemas, los cuales se clasificaron según IMC/ edad en: bajo peso (6,7%); normopeso (33,5%); sobrepeso (34,8%), y obesidad (24,9%). Dentro de los pacientes que presentaron normopeso (n= 105), presentaron algún grado de MN (moderada o severa) el 29,5% por antropometría y el 43,8% por VGS.

Fuerza muscular

Para la evaluación de la fuerza muscular, se realizó la fuerza de agarre a través del dinamómetro a 109 pacien-

tes. Presentaban un score CP A el 69,7% (n= 76) y el 30,3% eran CP B o C (n= 33).

El 30,28% (n= 33) de los pacientes presentaron fuerza muscular alterada con un IMC dentro de valores normales (26,16 kg/m2). El 57,6% (n= 19) presentó un score de CP A, mientras que el 42,42% (n= 14) presentó algún grado de descompensación (CP B y C).

Presentó algún grado de MN el 72,7% (n= 24) según VGS, y el 39,4% (n= 13) presentó una CMMB disminuida. La prevalencia de sarcopenia en la población evaluada fue del 11,9% (n= 13), con una fuerza muscular y una CMMB disminuidas.

Discusión

La evaluación del estado nutricional es de crucial importancia en el manejo de pacientes con CH. La MN es una de las complicaciones más comunes en la CH y, a pesar del importante papel que tiene el estado nutricional en el pronóstico de la cirrosis, con frecuencia su evaluación no se considera, ya que podría ser compleja en este grupo de pacientes.25 Actualmente, no existe un consenso

472 Acta
Gastroenterol Latinoam 2022;52(4):464-475
y col.
María Cielo Gutiérrez

de una única herramienta para evaluar el estado nutricional de los pacientes con CH.

Dependiendo de las técnicas de evaluación utilizadas y el estadio de la enfermedad, la prevalencia varía del 20% al 50% en pacientes con CH.12-13 Las cifras descritas de prevalencia son distintas según se trate de la severidad de la enfermedad hepática, con valores del 20% en la CH compensada y más del 50% en CH descompensada, pudiendo aumentar incluso hasta el 90% en pacientes en lista de espera de trasplante.26 En nuestro estudio, la prevalencia de MN según VGS fue del 49,5% y del 26,1% según antropometría, observándose una asociación estadísticamente significativa entre el estado nutricional y la severidad de la enfermedad, tanto por score CP como por MELD.

Al igual que en otros estudios, a mayor severidad de la CH, se observó una mayor presencia de MN.12, 26-27 En un estudio italiano prospectivo de 1053 pacientes, la prevalencia de MN evaluada por antropometría según la severidad de la enfermedad fue de 23%, 44% y 57% en pacientes con CP A, CP B y CP C, respectivamente.27 En nuestro estudio, según score CP, la prevalencia de MN por antropometría fue de 20,5% en pacientes con CP A, mientras que en CP B fue de 33% aumentando a 54% en CP C.

Si bien la MN suele ser evidente fenotípicamente en los estadios avanzados de la enfermedad, el deterioro del estado nutricional puede manifestarse incluso en pacientes con estadio temprano de la enfermedad, siendo importante la detección precoz para poder implementar un tratamiento nutricional oportuno y efectivo. En nuestro estudio, el 70% de la muestra incluyó pacientes con CH compensada (CP A) evidenciando algún grado de MN (36,1% según VGS y 20,53% según antropometría), reforzando la importancia del trabajo multidisciplinario para la evaluación nutricional en todos los estadios de la enfermedad.

Respecto de la etiología de la CH, en el análisis univariado, la etiología alcohólica se asoció con un mayor riesgo de MN, mientras que los pacientes con HAI presentaron menor grado de MN. Cabe destacar que el porcentaje de pacientes evaluados con etiología alcohólica y HAI fue similar (15,8%). En el estudio Proyecto Cooperativo Multicéntrico Italiano sobre Nutrición en la Cirrosis Hepática, con evaluación de 1402 pacientes, los pacientes con CH relacionada con el alcohol mostraron una mayor prevalencia de MN.12 Los mecanismos más reconocidos responsables de la MN en etiología alcohólica son la disminución de la ingesta dietética, la consiguiente baja disponibilidad de calorías y nutrientes, y la ingestión de

calorías “vacías” propia del consumo de alcohol, sumado a otros mecanismos, como la alteración de la absorción y digestión de nutrientes y la disfunción hepática.32

La VGS es un método no invasivo, fácil de aplicar, de bajo costo y validado para evaluar la MN en pacientes con CH. Como ventaja, utiliza datos recopilados durante la evaluación clínica para determinar el estado nutricional sin recurrir a mediciones objetivas.19 Una de las limitaciones de este método es que, en la evaluación de algunos parámetros (cambio de peso, capacidad funcional y presencia de ascitis/edema), estos pueden verse alterados por la insuficiencia hepática crónica y su tratamiento. Por otro lado, la VGS subestima la prevalencia de sarcopenia.18 Las Guías de Práctica Clínica en Nutrición en Enfermedades Hepáticas de la EASL15 recomiendan dentro de las herramientas de evaluación nutricional global tanto a la VGS como al Royal Free Hospital-Global Assessment (RFHGA). La RFG-GA es una herramienta que utiliza para el diagnóstico de MN parámetros como IMC, CMMB e ingesta dietética específica para pacientes con CH.28 En la práctica clínica, la VGS se incluye dentro de la evaluación de todo paciente con CH por su fácil aplicabilidad. Además, la evaluación de parámetros dinámicos, como pérdida de peso, presencia de síntomas gastrointestinales y alteración de la ingesta dietética en las dos semanas previas a la evaluación, permite intervenir precozmente aun no habiéndose afectado la composición corporal. Al momento de la recolección de los datos de la muestra, no se encontraba disponible ninguna guía de práctica clínica de nutrición en pacientes con CH.

Por su parte, la evaluación antropométrica representa una valoración objetiva del estado nutricional. Si bien tiene limitaciones en su uso, como la variabilidad interobservador, es una técnica ampliamente utilizada en la práctica clínica por su disponibilidad y accesibilidad. En comparación con imágenes trasversales (por el gold estándar TC o RMI), la CMMB tiene un buen valor predictivo, con un área bajo la curva ROC (AUROC) de 0,75 para varones y 0,84 para mujeres. Alberino et al.17 evaluaron a 212 pacientes hospitalizados con CH, midieron la masa muscular mediante CMMB y la masa grasa por PT, y presentaron MN severa el 34% de pacientes (CMMB y/o PT percentil < 5). En nuestra muestra, el 26,15% de los pacientes presentaron alterado el CMMB y/o PT. En relación con la fuerza muscular, se encontró alterada en el 30,28% de los pacientes (n= 109), utilizando el dinamómetro Jamar como método sencillo para detectar sarcopenia probable. El número de la muestra accedida fue menor a la de la muestra total, debido a que el instrumento estuvo disponible para su evaluación el último año

Acta Gastroenterol Latinoam 2022;52(4):464-475

473
Prevalencia de malnutrición en pacientes con cirrosis hepática: estudio observacional María Cielo Gutiérrez y col.

de recolección de los datos. Aproximadamente el 60% de los pacientes con fuerza muscular disminuida presentaba CH compensada (CP A), reforzando la importancia de su medición para la detección precoz de sarcopenia en estadios tempranos de la enfermedad.

Con el objetivo de estimar hasta qué punto las dos valoraciones nutricionales coinciden en su medición, en nuestro estudio se observó que el grado de concordancia de ambos métodos utilizados (VGS y antropometría) fue baja (k= 0,25), sugiriendo la utilización complementaria de los dos métodos. Si bien la mayoría de nuestra muestra fue de pacientes con CP A, Ferreira et al29 comparó distintos métodos de evaluación nutricional en una muestra de 159 pacientes con CH en lista de espera de trasplante, y la concordancia de la VGS con otros métodos de evaluación del estado nutricional (recuento total de linfocitos, CMMB, PT, grosor del pliegue cutáneo subescapular, IMC y fuerza de agarre) también fue bajo (k < 0,26). Cabe destacar que una de las herramientas propuesta por las Guías de Nutrición de EASL,15 RFH-GA, incorpora tanto los parámetros subjetivos de la evaluación nutricional de la VGS como mediciones objetivas (CMMB), reforzando la importancia de la complementariedad de los métodos.

Conclusión

La MN es frecuente en pacientes con CH, con alta prevalencia en pacientes compensados (CP A). La concordancia entre VGS y antropometría fue baja, sugiriendo el uso complementario de herramientas subjetivas y objetivas del estado nutricional, con una aplicabilidad sencilla en la práctica clínica.

Teniendo en cuenta que no contamos con una única técnica gold estándar para la evaluación del estado nutricional en pacientes con CH, sería conveniente combinar herramientas globales recomendadas para esta población específica, así como también incluir parámetros de funcionalidad muscular para el tamizaje de sarcopenia.

La detección precoz de la MN permitiría una intervención oportuna, sobre todo en estadios tempranos de la enfermedad.

Financiamiento. Los autores declaran que no hubo fuentes de financiación externas.

Conflicto de interés. Los autores declaran no tener conflictos de interés en relación con este artículo.

Aviso de derechos de autor © 2022 Acta Gastroenterológica Latinoamericana. Este es un artículo de acceso abierto publicado bajo los términos de la Licencia Creative Commons Attribution (CC BY-NC-SA 4.0), la cual permite el uso, la distribución y la reproducción de forma no comercial, siempre que se cite al autor y la fuente original.

Cite este artículo como: Gutiérrez M C, Curia A, Rey E y col Prevalencia de malnutrición en pacientes con cirrosis hepática: estudio observacional Acta Gastroenterol Latinoam. 2022; 52(4):464-475. https://doi.org/10.52787/ agl.v52i4.265

Referencias

1. Schuppan D, Afdhal NH. Liver cirrhosis. Lancet [Internet]. 2008;371(9615):838-51.

2. D’Amico G, Garcia-Tsao G, Pagliaro L. Natural history and prognostic indicators of survival in cirrhosis: A systematic review of 118 studies. J Hepatol [Internet]. 2006;44(1):217-31.

3. Tsochatzis EA, Bosch J, Burroughs AK. Liver cirrhosis. Lancet [Internet]. 014;383(9930):1749-61.

4. Bunchorntavakul C, Reddy KR. Review article: malnutrition/sarcopenia and frailty in patients with cirrhosis. Vol. 51, Alimentary Pharmacology and Therapeutics, pp. 64-77. Blackwell Publishing Ltd. 2020.

5. Cederholm T, Barazzoni R, Austin P, Ballmer P, Biolo G, Bischoff SC, et al. ESPEN guidelines on definitions and terminology of clinical nutrition. Clin Nutr. 2017;36(1):49-64.

6. Lochs H, Allison SP, Meier R, Pirlich M, Kondrup J, Schneider S, et al. Introductory to the ESPEN Guidelines on Enteral Nutrition: Terminology, Definitions and General Topics. Clin Nutr. 2006;25(2):180-6.

Consentimiento para la publicación. Para la confección de este manuscrito, se utilizaron datos anonimizados que no han distorsionado su significado científico.

Propiedad intelectual. Los autores declaran que los datos, los gráficos y las tablas presentes en el manuscrito son originales y se realizaron en sus instituciones pertenecientes.

7. Maharshi S, Sharma BC, Srivastava S. Malnutrition in cirrhosis increases morbidity and mortality. J Gastroenterol Hepatol. 2015;30(10):1507-13.

8. Lai JC, Tandon P, Bernal W, Tapper EB, Ekong U, Dasarathy S, et al. Malnutrition, Frailty, and Sarcopenia in Patients with Cirrhosis: 2021 Practice Guidance by the American Association for the Study of Liver Diseases. Hepatology [Internet]. 2021;74(3):1611-44.

9. Plauth M, Bernal W, Dasarathy S, Merli M, Plank LD, Schütz T, et al. ESPEN guideline on clinical nutrition in liver disease. Clin Nutr [Internet]. 2019;38(2):485-521.

474 Acta
Gastroenterol Latinoam 2022;52(4):464-475
Prevalencia de malnutrición en pacientes con cirrosis hepática: estudio observacional María Cielo Gutiérrez y
col.

Prevalencia de malnutrición en pacientes con cirrosis hepática: estudio observacional

10. Gokturk HS, Selcuk H. Importance of malnutrition in patients with cirrhosis. Turkish J Gastroenterol [Internet]. 2015;26(4):291-6.

11. Hanai T, Shiraki M, Nishimura K, Ogiso Y, Imai K, Suetsugu A, et al. Nutritional assessment tool for predicting sarcopenia in chronic liver disease. JCSM Rapid Commun. 2021;4(2):150-8.

12. Cirrhosis IMCP on nutrition in liver. Nutritional status in cirrhosis. J Hepatol. 1994;21(7):317.

13. Merli M, Berzigotti A, Zelber-Sagi S, Dasarathy S, Montagnese S, Genton L, et al. EASL Clinical Practice Guidelines on nutrition in chronic liver disease. J Hepatol [Internet]. 2019;70(1):172-93.

14. Anand AC. Nutrition and Muscle in Cirrhosis. J Clin Exp Hepatol [Internet]. 2017;7(4):340-57.

15. Merli M, Berzigotti A, Zelber-Sagi S, Dasarathy S, Montagnese S, Genton L, et al. EASL Clinical Practice Guidelines on nutrition in chronic liver disease. J Hepatol. 2019;70(1):172-93.

16. Williams FR, Milliken D, Lai JC, Armstrong MJ. Assessment of the Frail Patient with End-Stage Liver Disease: A Practical Overview of Sarcopenia, Physical Function, and Disability. Hepatol Commun. 2021;5(6):923-37.

17. Alberino F, Gatta A, Amodio P, Merkel C, Pascoli L Di, Boffo G, et al. Nutrition and Survival in Patients With Liver Cirrhosis. Nutrition. 2001;17(6):445-50.

18. Tandon P, Low G, Mourtzakis M, Zenith L, Myers RP, Abraldes JG, et al. A Model to Identify Sarcopenia in Patients with Cirrhosis. Clin Gastroenterol Hepatol [Internet]. 2016;14(10):14731480.e3.

19. Detsky AS, Mclaughlin JR, Baker JP, Johnston N, Whittaker S, Mendelson RA, et al. What is Subjective Global Assessment of Nutritional Status? 1987;11.

20. Frisancho AR. New norms of upper limb fat and muscle areas for assessment of nutritional status. Am J Clin Nutr. 1981;34(11):2540-5.

21. Cruz-Jentoft AJ, Bahat G, Bauer J, Boirie Y, Bruyère O, Cederholm T, et al. Sarcopenia: Revised European consensus on definition and diagnosis. Age Ageing. 2019;48(1):16-31.

22. Wiesner R, Edwards E, Freeman R, Harper A, Kim R, Kamath P, et al. Model for end-stage liver disease (MELD) and allocation of donor livers. Gastroenterology 2003;124(1):91-6.

23. Pugh RN, Murray-Lyon IM, Dawson JL, Pietroni MC, Williams R. Transection of the oesophagus for bleeding oesophageal varices. Br J Surg. 1973;60(8):646-9

24. Angeli P, Bernardi M, Villanueva C, Francoz C, Mookerjee RP, Trebicka J, et al. EASL Clinical Practice Guidelines for the management of patients with decompensated cirrhosis. J Hepatol. 2018;69(2):406-60.

25. Montano-Loza AJ. Clinical relevance of sarcopenia in patients with cirrhosis. World J Gastroenterol. 2014;20(25):8061-71.

26. Mazurak VC, Tandon P, Montano-Loza AJ. Nutrition and the Transplant Candidate. Liver Transplant [Internet]. 2017;23:1451-64.

27. Merli M, Riggio O, Dally L. Does Malnutrition Affect Survival in Cirrhosis? Hepatology. 1996;23(5):1941-6.

28. Morgan MY, Madden AM, Soulsby CT, Morris RW. Derivation and validation of a new global method for assessing nutritional status in patients with cirrhosis. Hepatology. 2006;44(4):823-35.

29. Ferreira LG, Anastácio LR, Lima AS, Correia MITD. Assessment of nutritional status of patients waiting for liver transplantation. Clin Transplant. 2011;25(2):248-54.

30. Ebadi M, Bhanji RA, Tandon P, Mazurak V, Baracos VE, Montano-Loza AJ. Review article: prognostic significance of body composition abnormalities in patients with cirrhosis. Aliment Pharmacol Ther. 2020;52(4):600-18.

31. Campillo B, Richardet JP, Bores PN. Validation of body mass index for the diagnosis of malnutrition in patients with liver cirrhosis. Gastroenterol Clin Biol. 2006;30(10):1137-43.

32. Ayala-Valverde, M., Arnold, J., Díaz, L.A. et al. Nutrition in Alcohol-Related Liver Disease. Curr Hepatology Rep. 2022; Supp 1:111–119.

Acta Gastroenterol Latinoam 2022;52(4):464-475

475
María Cielo Gutiérrez y col.

Análisis de los datos de Argentina y Chile del estudio observacional ICONIC

Alicia Sambuelli1 · Gustavo Walsen Arangua2 · Juan Andrés de Paula3 · Juan José Trakal4 Martín Toro5 · Martín Yantorno6 · Soledad Suárez Ordóñez7

1 Centro de Estudios y Tratamiento de Enfermedades Inflamatorias (CEYTIN). Grupo médico del Consultorio de Enfermedades Inflamatorias del Intestino (CEIDI), Ciudad Autónoma de Buenos Aires, Argentina.

2 Hospital del Salvador, Providencia, Región Metropolitana, Chile.

3 Hospital Italiano de Buenos Aires, Ciudad Autónoma de Buenos Aires, Argentina.

4 Clínica Universitaria Reina Fabiola (C.U.R.F.), Córdoba, Argentina.

5 Hospital Universitario de la Universidad Nacional de Cuyo, Mendoza, Argentina.

6 Hospital Interzonal General de Agudos “Gral. J. de San Martín”, La Plata, Buenos Aires, Argentina.

7 AbbVie Argentina, Ciudad Autónoma de Buenos Aires, Argentina.

Acta Gastroenterol Latinoam 2022;52(4):476-483

Recibido: 04/08/2022 / Aceptado: 29/11/2022 / Publicado online: 21/12/2022 / https://doi.org/ 10.52787/agl.v52i4.233

Resumen

Introducción. El estudio observacional prospectivo ICONIC evaluó, mediante la herramienta Pictorial Representation of Illness and Self Measure, la carga de sufrimiento provocado a los pacientes por la colitis ulcerosa. Métodos. ICONIC incluyó a pacientes ambulatorios con Colitis ulcerosa de inicio reciente en 33 países. Los resultados informados por pacientes y médicos (Pictorial Representation of Illness and Self Measure, Short Inflammatory Bowel Disease Questionnaire, Patient Health Questionnaire, Simple Clinical Colitis Activity Indexes se recogieron al inicio y cada 6 ± 3 meses. Se describen los datos

Correspondencia: Alicia Sambuelli

Correo electrónico: alicia.sambuelli@gmail.com

Acta Gastroenterol Latinoam 2022;52(4):476-483

de Argentina y Chile. Resultados. 89 pacientes (edad: mediana 32, rango: 18-63; 52,8% mujeres; Colitis ulcerosa izquierda: 50%; proctitis: 33,3%; Colitis ulcerosa extensa: 16,7%) tuvieron una o más visitas de seguimiento. La media ± Desvío estándar de la gravedad Simple Clinical Colitis Activity Index se redujo de 1,8 ± 2,2 a 1,4 ± 2,0 (p < 0,05) y de 3,3 ± 3,2 a 2,6 ± 2,8 a lo largo de 24 meses, respectivamente. Los pacientes con Colitis ulcerosa izquierda moderada y severa, evaluados por endoscopía, progresaron a Colitis ulcerosa extensa. El sufrimiento evaluado por pacientes y médicos, cuantificado por Pictorial Representation of Illness and Self Measure, se redujo significativamente, mostrando una correlación con la mejoría de otras medidas de resultado. Se describió una subestimación del sufrimiento valorado mediante Pictorial Representation of Illness and Self Measure por los médicos, en comparación con los datos de los pacientes. Conclusiones. La carga y el sufrimiento disminuyeron con un tratamiento relativamente temprano. En consonancia con el estudio global, Pictorial Representation of Illness and Self Measure se correlacionó con otras medidas de percepción de la Colitis ulcerosa; el sufrimiento fue subestimado por los médicos. Pictorial Representation of Illness and Self Measure, dada su correlación con otras escalas, puede considerarse una herramienta útil para cuantificar el sufrimiento en los pacientes con Colitis ulcerosa.

476
♦MANUSCRITO ORIGINAL

Palabras claves. Colitis ulcerosa, sufrimiento, criterios de valoración del paciente, PRISM.

Argentina and Chile Data Analysis from the ICONIC Observational Study

Summary

Introduction. The prospective observational ICONIC study assessed, using the Pictorial Representation of Illness and Self Measure (PRISM) tool, the burden of suffering caused to patients by ulcerative colitis (UC). Methods. ICONIC included outpatients with recent-onset UC in 33 countries. Patient- and physician-reported outcomes (PRISM, Short Inflammatory Bowel Disease Questionnaire [SIBDQ], Patient Health Questionnaire [PHQ-9], Simple Clinical Colitis Activity Indexes [P-SCCAI; SCCAI]) were collected at baseline and every 6 ± 3 months. Data from Argentina and Chile are described in this analysis. Results. 89 patients (age: median 32, range: 18-63; 52.8% female; left UC: 50%; proctitis: 33.3%; extensive UC: 16.7%) had ≥ 1 follow-up visit. The mean ± SD of severity (SCCAI/ pSCCAI) significantly decreased from 1.8 ± 2.2 to 1.4 ± 2.0 (p < 0.05) and from 3.3 ± 3.2 to 2.6 ± 2.8, respectively, over 24 months. Suffering assessed by patients and physicians, progressed to extensive UC Patient- and physician-rated suffering, as quantified by PRISM, was significantly reduced, showing a correlation with improvement in other outcome measures. An underestimation of physician-assessed suffering by PRISM compared to patient data was described. Conclusions. The burden and suffering decreased with relatively early treatment. Consistent with the overall study, PRISM was correlated with other measures of UC perception; suffering was underestimated by physicians. PRISM, given its correlation with other scales, it may be considered a useful tool to quantify distress in patients with UC.

Keywords. Ulcerative colitis, suffering, patient-reported outcomes, PRISM.

Abreviaturas

CU: Colitis ulcerosa.

PRISM: Pictorial Representation of Illness and Self Measure.

SIS: Separación entre el paciente y la enfermedad (self-illness separation).

SIBDQ: Short Inflammatory Bowel Disease Questionnaire.

PHQ-9: Patient Health Questionnaire. SCCAI: Simple Clinical Colitis Activity Index. DE: Desvío estándar.

Introducción

La colitis ulcerosa (CU) es una enfermedad crónica, inflamatoria y progresiva, que suele presentar agudizaciones recurrentes y frecuentes, sucedidas por períodos de remisión.1 Característicamente, los pacientes presentan una inflamación de la mucosa que comienza en el recto y que puede extenderse en forma continua hacia segmentos proximales del colon.1 Los objetivos del tratamiento de la CU incluyen inducir y mantener la remisión, en términos de la resolución de los síntomas, y la curación endoscópica.1

La carga de la enfermedad atribuida a la CU activa involucra numerosos dominios, entre los que se destacan los aspectos laborales (pérdida de productividad y oportunidades de trabajo) e interferencia con las interacciones sociales, recreativas e interpersonales.2-3 Los individuos afectados experimentan desde ansiedad, causada, entre otros factores, por la falta de control de sus funciones corporales y por el temor a la progresión de la CU, hasta la necesidad de hospitalización o de un procedimiento quirúrgico.3 A su vez, el deterioro de la capacidad para desarrollar y mantener relaciones sólidas con otras personas puede contribuir a la ansiedad, el aislamiento y la depresión, que son frecuentes en esta población.3

No obstante, se observan diferencias, tanto entre los pacientes como en el equipo de salud, en la percepción del impacto de los síntomas de la CU en la vida diaria, dado que los médicos parecen subestimar su repercusión.4 Asimismo, pueden no reconocer aspectos importantes en la evaluación de la carga de la enfermedad, que facilitarían la relación médico - paciente. La detección, la cuantificación y el alivio del sufrimiento de los enfermos es uno de los fines de la medicina actual, aunque esto fue preconizado por Cassel en los inicios de la década de 1980. 5 En este sentido, el estudio internacional ICONIC (Understanding the Impact of Ulcerative Colitis and Its assoCiated disease burden on patients) 6 evaluó el uso de la herramienta PRISM (Pictorial Representation of Illness and Self Measure) 7 como un recurso para la cuantificación del sufrimiento en los pacientes con CU. La herramienta PRISM permite cuantificar en forma subjetiva el sufrimiento del paciente mediante un recurso visual (separación entre el paciente y la enfer-

477
Acta Gastroenterol Latinoam 2022;52(4):476-483
Análisis de los datos de Argentina y Chile del estudio observacional ICONIC Alicia Sambuelli y col.

medad, self-illness separation [SIS]), que consiste en la distancia entre los centros de dos discos (una menor SIS equivale a un mayor sufrimiento percibido como consecuencia de la enfermedad) (Figura 1). La herramienta PRISM ha sido previamente validada en el marco de otras afecciones crónicas, entre ellas algunas de las inmunomediadas, 8-9 incluyendo su uso en población latinoamericana, 10 pero no había sido aplicada con anterioridad en la evaluación de los pacientes con CU.

Los cuestionarios consumen tiempo y suelen ser tediosos para completar y analizar. A diferencia de ello, la herramienta PRISM puede ser completada muy rápidamente, incluso dentro de una consulta, en menos de 5 minutos, siendo una herramienta sin barreras idiomáticas, tecnológicas o educacionales.

En el presente estudio, se describe el análisis de los resultados de los pacientes de Argentina y Chile que participaron del estudio ICONIC.

Pacientes y métodos Estudio ICONIC

ICONIC fue un estudio prospectivo, observacional, internacional, de 24 meses de duración, en el cual se propuso como objetivo principal la evaluación de la carga acumulativa de la CU mediante la aplicación de la herramienta PRISM.6

Se incluyeron pacientes ambulatorios no seleccionados, de al menos 18 años de edad, con CU de reciente diagnóstico (menos de 36 meses), que firmaron previamente un consentimiento informado. Participaron individuos de 33 países, incluidos la Argentina y Chile.

La metodología detallada se ha descripto en el estudio original.6 Brevemente, tanto en la consulta

Acta Gastroenterol Latinoam 2022;52(4):476-483

ini cial como durante el seguimiento realizado cada 6 ± 3 meses, se recolectaron los datos demográficos y relacionados con la CU, el uso de medicamentos, la información sobre el contexto social y educativo de cada paciente y el impacto sobre las actividades diarias y la productividad laboral.

Criterios de valoración

Además del puntaje de la herramienta PRISM, se calcularon las puntuaciones en las escalas Short Inflammatory Bowel Disease Questionnaire (SIBDQ), Patient Health Questionnaire [PHQ-9] y, en las versiones para médicos y pacientes, de la herramienta Simple Clinical Colitis Activity Index (SCCAI) (Tabla 1).

478
Análisis de los datos de Argentina y Chile del estudio observacional ICONIC Alicia Sambuelli y col. Figura 1. Adaptación simplificada de la herramienta visual PRISM Adaptada y modificada de Tolmie E, et al. J Cardiol Cardiov Sciences 2020; 4(4):6-15.

Tabla 1. Criterios de valoración del estudio ICONIC

PRISM (Pictorial Representation of Illness and Self Measure)

• Se presenta una hoja de papel rectangular con un disco amarillo en la esquina inferior derecha y se le solicita al paciente que imagine que la hoja representa "su vida actual" y que el disco amarillo lo representa a sí mismo. Se le entrega un disco rojo que representa a la CU y se le pide que lo coloque en la hoja para mostrar la importancia de la CU en su vida actual. A menor distancia (SIS) entre los centros de los discos amarillo y rojo, mayor es el sufrimiento de la persona.

• Rango para el estudio ICONIC: 0 a 9,4 cm.

SIBDQ (Short Inflammatory Bowel Disease Questionnaire)

• Incluye 10 ítems con puntajes de 1 (problema grave) a 7 (ausencia de dificultades) que cuantifican el impacto de la CU en cuatro dominios: síntomas intestinales, síntomas sistémicos, funcionalidad emocional y funcionalidad social.

• Rango de puntajes; 10 a 70 (un mayor puntaje equivale a una mejor calidad de vida relacionada con la salud).

SCCAI (Simple Clinical Colitis Activity Index)

• Evalúa la severidad de la CU durante la semana previa a la consulta por medio de la cuantificación de la frecuencia diaria de deposiciones, la urgencia defecatoria, la presencia de sangre en las heces, la frecuencia defecatoria nocturna, el bienestar general y las manifestaciones extracolónicas.

• Rango de puntajes; 0 a 19 (un mayor puntaje equivale a mayor severidad de los síntomas).

• La versión para pacientes (p-SCCAI) incluye 12 ítems.

PHQ-9 (Patient Health Questionnaire)

• Un instrumento de 9 ítems para la pesquisa, el diagnóstico, el monitoreo y la cuantificación de la severidad de la depresión.

• Rango de puntajes: 0 a 27 (un mayor puntaje equivale a mayor severidad de la depresión).

Análisis estadístico

La población evaluable del estudio ICONIC comprendía a todos los pacientes que cumplían los criterios de selección y tenían al menos una visita posterior a la consulta inicial. Las variables cuantitativas se presentaron como media (desvío estándar [DE]) o mediana (rango) según su distribución. Las variables cualitativas se presentaron utilizando su distribución de frecuencia. Los porcentajes se estimaron en función de los datos válidos por cada parámetro, con exclusión de los valores faltantes. Se calculó el coeficiente de Spearman para evaluar las correlaciones al inicio y en cada visita de seguimiento entre los resultados de la herramienta PRISM evaluado por el paciente y por el médico, así como con las escalas PRISM, SIBDQ, SCCAI, P-SCCAI y PHQ-9. Los datos correspondientes a las herramientas RFIPC y WPAI-GH se recolectaron,

pero se mostrarán en una publicación separada. Se estimó además la correlación entre las puntuaciones de PRISM y SCCAI evaluadas por el paciente y el médico, definiendo como fuerte un coeficiente rho ≥ 0,6. En el presente análisis, cuando fue posible, se compararon los resultados para la Argentina y Chile con aquellos correspondientes a la cohorte global del estudio ICONIC. Los análisis se efectuaron mediante el paquete SAS® (versión 9.4); todas las puntuaciones se trataron como variables cuantitativas.

Resultados Datos clínicos y demográficos

En el estudio ICONIC global, 1804 pacientes evaluables cumplieron con los criterios de inclusión y participaron de al menos una visita de seguimiento. Participaron 89 pacientes de la Argentina y Chile (5% del total global y equivalente a la mitad de los pacientes de América Latina). La mediana del tiempo transcurrido desde el diagnóstico de la CU era de 157 días (rango: 3 a 1078 días). Otros datos demográficos y clínicos de interés se resumen en la Tabla 2.

Tabla 2. Características iniciales de los pacientes

Estudio ICONIC Participantes de (global) Argentina y Chile

Total, n (%) 1804 (100%) 89 (5%)

Edad en años, 36,0 (18,0 - 88,0) 32 (18,0 - 63,0) mediana (rango) Sexo femenino, n (%) 970 (53,8%) 47 (52,8%)

Gravedad de la CU estimada por el médico, n (%)

Leve

673 (37,3%) 44 (49,4%) Moderada 667 (37,0%) 18 (20,2%)

Severa 233 (12,9%) 11 (12,4%) En remisión 230 (12,8%) 16 (18%) Sin datos 1 (0,1%) 0 (0%)

Gravedad de la CU estimada por el paciente, n (%)

Leve

614 (34,1%) 38 (42,7%)

Moderada 665 (36,9%) 24 (27,0%)

Severa 235 (13,1%) 15 (16,9%) En remisión 286 (15,9%) 12 (13,4%) Sin datos 4 (0,2%) 0 (0%)

Tratamiento (visita inicial) (*) 5-ASA/mesalamina 998 (55,3%) 44 (49,4%)

Agentes biológicos 190 (10,5%) 4 (4,5%)

Aminosalicilatos 316 (17,5%) 10 (11,2%)

Corticoides sistémicos 312 (17,3%) 14 (15,7%)

Inmunoterapias 284 (15,7%) 14 (15,7%) Sulfasalazina 32 (1,8%) 2 (2,2%)

(*) Inmunoterapias: 6-mercaptopurina, azatioprina, ciclosporina, metotrexato, tacrolimus. Los corticoides sistémicos incluyen formulaciones orales e intravenosas.

479
Acta Gastroenterol Latinoam 2022;52(4):476-483
Análisis de los datos de Argentina y Chile del estudio observacional ICONIC
Alicia Sambuelli y col.

Extensión de la CU

En nuestros pacientes, la proporción de casos de CU extensa, CU izquierda y proctitis se reportó en el 50%, 33,3% y 16,7% de los casos, respectivamente.

Resultados para la herramienta PRISM

En concordancia con lo informado para el estudio principal, el sufrimiento de los pacientes atribuido a la CU cuantificado por la herramienta PRISM se redujo significativamente en los pacientes argentinos y chilenos del estudio ICONIC. Esta disminución del sufrimiento se observó tanto con la aplicación de la herramienta por parte de los pacientes (SIS inicial: 3,6 ± 2,5 contra SIS a los 24 meses: 4,7 ± 2,6; p < 0,05) como de los médicos y se correlacionó con los otros criterios de valoración (SIBDQ, PHQ-9, SCCAI) (Tabla 3).

La media ± DE de la distancia SIS, determinada mediante la herramienta PRISM por los médicos, aumentó de 3,4 ± 2,5 (valor basal, n= 89) a 5,0 ± 2,4 (visita 5, n= 60; p < 0,05), en consonancia con los datos del estudio principal. El promedio ± DE de la distancia SIS determinada mediante esta herramienta por parte de los pacientes aumentó de 3,6 ± 2,5 (valor basal, n= 89) a 4,7 ± 2,6 (visita 5, n= 59; p < 0,05), también en forma consistente con los datos de estudio principal.

Tabla 3. Correlación entre los resultados de la herramienta PRISM (cuantificada por el paciente) y otros criterios de valoración (visita 5)

Comparación N (*) Prueba de Valor de Spearman p (†) vs. SIBDQ 59 0,47 0,0001 vs. PHQ-9 59 -0,42 0,0011 vs. PRISM 59 0,34 0,0092 (aplicada por el médico) vs. pSCCAI 59 -0,35 0,0074 (aplicada por el paciente) vs. SCCAI 59 -0,38 0,0034 (aplicada por el médico)

(*) Cantidad de participantes con datos en la visita 5. (†) La significación estadística se calculó utilizando la probabilidad crítica exacta.

Resultados para las herramientas SCCAI/pSCCAI

A lo largo del seguimiento de 24 meses (equivalente a cinco visitas programadas), la severidad de la CU cuantificada mediante las escalas SCCAI (médico) y pSCCAI (paciente) se redujo en los participantes de la Argentina y Chile del estudio ICONIC. Esta disminución fue relativamente menor a la descripta para la cohorte global (Figura 2).

Figura 2. Variación en los puntajes en las escalas SCCAI (médico) y pSCCAI (paciente)

480 Acta Gastroenterol
Latinoam 2022;52(4):476-483
Análisis de los datos de Argentina y Chile del estudio observacional ICONIC Alicia Sambuelli y
col.
Los valores corresponden a la media. La reducción del puntaje SCCAI es estadísticamente significativa (
El
0 4,5 1,5 2,5 0,5 3,5 1 2 Basal 24 meses
SCCAI
4 3 Puntajes 3 1,3 SCCAI (ARG/CHI) 1,8 1,4 pSCCAI (ARG/CHI) 3,3 2,6 pSCCAI (global) 4,2 2,4
p < 0,05).
puntaje pSCCAI a 24 meses es numéricamente menor que el basal, aunque no se logró una diferencia significativa (p = 0,1).
(5 visitas)
(global)

Debido a que este estudio fue no intervencionista, las endoscopías disponibles para evaluar la extensión de la enfermedad, durante el seguimiento, fueron realizadas a ± 2 meses de alguna visita, por un requerimiento rutinario del manejo clínico. Se detectó en la visita final la progresión a enfermedad extensa de 2/2 colitis izquierdas (de un subgrupo de 8 pacientes que, habiendo ingresado con actividad severa, fueron reendoscopiados) y 3/3 colitis izquierdas y una proctitis (de un subgrupo de 9 pacientes que, habiendo ingresado con actividad moderada, fueron reendoscopiados). Los 13 restantes individuos reendoscopiados de los grupos de CU severa y moderada presentaron enfermedad originariamente extensa, estable desde la primera visita.

Discusión

En este análisis de los datos de la Argentina y Chile correspondientes al estudio ICONIC, se verificó la correlación entre los resultados de la herramienta PRISM (como recurso para la cuantificación de la carga de enfermedad y el sufrimiento de los pacientes con CU) y de diferentes escalas validadas para la percepción de estos parámetros.

El estudio global ICONIC incluyó datos de más de 1800 pacientes con CU recientemente diagnosticada, procedentes de 244 centros de 33 países, en forma independiente del tratamiento prescripto.6 El objetivo principal del estudio consistió en evaluar la utilidad de la herramienta PRISM en esta población. Los resultados reunidos en el subgrupo de participantes de Argentina y Chile se asemejaron a los obtenidos en la cohorte global, con un incremento de la media del puntaje a lo largo del seguimiento. La actividad de la enfermedad, su percepción subjetiva y la depresión contribuyen al sufrimiento de los pacientes,5 por consiguiente, la cuantificación de dicho sufrimiento podría ser útil como una medida unificada de los resultados centrados en el paciente. La herramienta PRISM puede aplicarse durante la visita rutinaria, en pocos minutos y con resultados inmediatos, en contraposición con el mayor tiempo que conllevan las escalas habituales. En el presente subanálisis de los datos para la Argentina y Chile, se demostró una correlación significativa entre los puntajes de esta herramienta visual y los resultados obtenidos para dichas escalas (SIBDQ, PHQ-9, SCCAI), ratificando en la población local las conclusiones del estudio global.

Por otra parte, en el estudio ICONIC, se comparó la percepción de la enfermedad por parte de los médicos y los pacientes. Ambas determinaciones de los valores de la SIS estimada mediante la herramienta PRISM se correlacionaron en todas las visitas en los participantes de

Argentina y Chile, al igual que se describió en el estudio global. No obstante, también en concordancia con los datos internacionales, se observó una subestimación del sufrimiento atribuido a la enfermedad por parte de los médicos tratantes, en comparación con la evaluación subjetiva de los pacientes. Estos hallazgos son consistentes con modelos previos en los cuales se advirtió una diferencia entre la experiencia subjetiva de los pacientes con CU y el equipo de salud, en términos de la carga atribuida a la enfermedad.11 Una mejor comprensión del sufrimiento de los pacientes por parte de los médicos podría mejorar la toma de decisiones terapéuticas en esta población. En este sentido, el uso de herramientas simples como PRISM puede contribuir a optimizar la comunicación entre ambas partes.

En nuestros pacientes, se observó una progresión endoscópica de los pacientes con CU izquierda a formas extensas entre el primero y el segundo año de seguimiento, en pequeños subgrupos de pacientes que ingresaron al estudio con actividad moderada y severa, y que, a juicio del investigador, requirieron seguimiento endoscópico como procedimiento de rutina, según los criterios de estudio no intervencionista. Por la misma razón, dada la naturaleza observacional del estudio ICONIC, en aquellos participantes con formas leves o en remisión, no se efectuaron estudios endoscópicos con la misma frecuencia, por lo cual no pueden obtenerse conclusiones definitivas acerca de estos resultados. Del mismo modo, por el diseño del estudio, la potencial repercusión del régimen terapéutico en la evolución de la CU se encuentra fuera del alcance de este análisis, criterio compartido por el estudio global internacional.

Si bien se reconocen las limitaciones propias de la reducida cantidad de participantes de este subanálisis, a partir de un diseño observacional con potencial sesgo de selección, se hace énfasis en la fortaleza de disponer de datos recolectados de forma prospectiva con la aplicación de herramientas validadas y utilizadas tanto por los médicos como por los pacientes.

A modo de conclusión, durante un seguimiento de 24 meses, el sufrimiento atribuido a la CU, cuantificado por medio de la herramienta PRISM, se redujo en los pacientes argentinos y chilenos que participaron del estudio ICONIC, en el marco del tratamiento relativamente temprano de la enfermedad. En consonancia con los datos globales, esta herramienta se correlacionó con otras medidas de percepción de la enfermedad en pacientes con CU, sugiriendo, al igual que en el estudio internacional, que tanto la actividad de la enfermedad como la alteración de la calidad de vida contribuyen al sufrimiento. Se advierte que el sufrimiento fue relativamente subestimado por los

Acta Gastroenterol Latinoam 2022;52(4):476-483

481
Análisis de los datos de Argentina y Chile del estudio observacional ICONIC Alicia Sambuelli y col.

médicos, probablemente debido a que los objetivos y metas de los profesionales de la salud difieren de las expectativas de los pacientes. Nuestros datos permiten fundamentar la aplicación de la herramienta PRISM como un recurso validado que refleja la magnitud del sufrimiento en los pacientes con CU y que podría individualizar a aquellos más necesitados de soporte emocional.

Consentimiento para la publicación. Se obtuvo el consentimiento informado por escrito del paciente o su padre, tutor o familiar, para la publicación de los datos y/o imágenes clínicas en beneficio de la ciencia. La copia del formulario de consentimiento se encuentra disponible para los editores de esta revista.

Janssen, Takeda y Vifor Pharma. Martín Ariel Toro ha recibido honorarios o pagos por formar parte de juntas asesoras, como ponente, como consultor y becas como investigador, de AbbVie, Ferring, Janssen, Pfizer y Takeda. Martín Yantorno ha recibido honorarios o pagos por formar parte de juntas asesoras, como ponente y becas como investigador, de AbbVie, Ferring, Grupo Biotoscana, Janssen, Pfizer y Takeda. Soledad Suárez Ordóñez es una exempleada de AbbVie Argentina y actualmente es empleada de Sanofi.

Aviso de derechos de autor

Propiedad intelectual. Los autores declaran que los datos, las figuras y las tablas presentes en el manuscrito son originales y se realizaron en sus instituciones pertenecientes.

Agradecimientos y financiación. AbbVie financió este estudio y participó en su diseño, la investigación, el análisis, la recopilación de datos, la interpretación de los datos, la revisión y la aprobación de la publicación. Todos los autores tuvieron acceso a datos relevantes y participaron en la redacción, revisión y aprobación de esta publicación. No se otorgaron honorarios ni pagos por autoría. AbbVie y los autores agradecen a todos los investigadores del estudio, al doctor Francisco Fuster y a los pacientes que participaron en este ensayo clínico. Leonardo Gilardi, de Agencia Médica, proporcionó apoyo en la redacción médica y fue financiado por AbbVie.

Conflicto de interés. Alicia Sambuelli ha recibido apoyo para eventos educativos de AbbVie y Janssen; fue inscrita en congresos y eventos internacionales de gastroenterología (DDW, ECCO, UEG, avances en EII) por AbbVie, Ferring, Janssen y Takeda; ha participado en juntas consultivas con otros médicos, organizadas por Janssen y Takeda. Gustavo Walsen Arangua ha recibido honorarios como investigador de AbbVie, Insmed y Sanofi. Juan Andrés de Paula ha recibido honorarios o pagos por formar parte de juntas asesoras, como ponente, como consultor, becas como investigador, de AbbVie, Biosidus, Danone, Ferring, Janssen, Pfizer, Sanofi y Takeda. Juan José Trakal ha recibido honorarios o pagos por formar parte de juntas asesoras, como ponente, como consultor y becas como investigador de AbbVie, Biotoscana,

© 2022 Acta Gastroenterológica Latinoamericana. Este es un artículo de acceso abierto publicado bajo los términos de la Licencia Creative Commons Attribution (CC BY-NC-SA 4.0), la cual permite el uso, la distribución y la reproducción de forma no comercial, siempre que se cite al autor y la fuente original

Cite este artículo como: Sambuelli A, Walsen Arangua G, de Paula J A y col. Análisis de los datos de Argentina y Chile del estudio observacional ICONIC Acta Gastroenterol Latinoam. 2022; 52(4):476-483. https://doi.org/ 10.52787/agl.v52i4.233

Referencias

1. Ungaro R, Mehandru S, Allen PB, Peyrin-Biroulet L, Colombel JF. Ulcerative colitis. Lancet. 2017;389(10080):1756-70.

2. McCormick JB, Hammer RR, Farrell RM, Geller G, James KM, Loftus Jr EV, Mercer MB, Tilburt JC, Sharp RR. Experiences of patients with chronic gastrointestinal conditions: in their own words. Health Qual Life Outcomes. 2012;10:25.

3. Yarlas A, Rubin DT, Panés J, Lindsay JO, Vermeire S, Bayliss M, Cappelleri JC, Maher S, Bushmakin AG, Chen LA, DiBonaventura M. Burden of Ulcerative Colitis on Functioning and Well-being: A Systematic Literature Review of the SF-36® Health Survey. J Crohns Colitis. 2018;12(5):600-9.

4. Schreiber S, Panés J, Louis E, Holley D, Buch M, Paridaens K. Perception gaps between patients with ulcerative colitis and healthcare professionals: an online survey. BMC Gastroenterol. 2012;12:108.

5. Cassel EJ. The nature of suffering and the goals of medicine. N Engl J Med. 1982;306:639-45.

6. Ghosh S, Sensky T, Casellas F, Rioux LC, Ahmad T, Márquez JR, Vanasek T, Gubonina I, Sezgin O, Ardizzone S, Kligys K, Petersson J, Suzuki Y, Peyrin-Biroulet L. A global, prospective, observational study measuring disease burden and suffering in patients with ulcerative colitis using the Pictorial Representation of Illness and Self Measure Tool. J Crohns Colitis. 2020;15(2):228-37.

482 Acta
Gastroenterol Latinoam 2022;52(4):476-483
Análisis de los datos de Argentina y Chile del estudio observacional ICONIC Alicia Sambuelli y col.

7. Büchi S, Sensky T. PRISM: Pictorial Representation of Illness and Self Measure. A brief nonverbal measure of illness impact and therapeutic aid in psychosomatic medicine. Psychosomatics. 1999;40(4):314-20.

8. Peter N, Kleinjung T, Horat L, Schmidt-Weitmann S, Meyer M, Büchi S, Weidt S. Validation of PRISM (pictorial representation of illness and self measure) as a novel visual assessment tool for the burden of suffering in tinnitus patients. Health Qual Life Outcomes. 2016;14:47.

9. Kabar I, Hüsing-Kabar A, Maschmeier M, Völler C, Dümke M, Schmidt HH, Heinzow H. Pictorial representation of illness and self measure (PRISM): a novel visual instrument to quantify suffering in liver cirrhosis patients and liver transplant recipients. Ann Transplant. 2018;23:674-80.

10. Krikorian A, Limonero JT, Vargas JJ, Palacio C. Assessing suffering in advanced cancer patients using pictorial representation of illness and self measure (PRISM), preliminary validation of the Spanish version in a Latin American population. Support Care Cancer. 2013;21:3327-36.

11. Rubin DT, Dubinsky MC, Martino S, Hewett KA, Panés J. Communication between physicians and patients with ulcerative colitis: reflections and insights from a qualitative study of in-office patient-physician visits. Inflamm Bowel Dis. 2017;23:494-501.

Acta Gastroenterol Latinoam 2022;52(4):476-483

483
Análisis de los datos de Argentina y Chile del estudio observacional ICONIC Alicia Sambuelli y col.

Descriptive Study of Tumor Immune Microenvironment and Epstein-Barr Virus Infection in Gastric Adenocarcinoma

Lucy Bravo-Luna1 · Rosa Amalia Dueñas-Cuellar2 · Victoria Eugenia Niño-Castaño2 Ángela Merchán-Galvis3 · Luisa Katherine Orozco-Morales4 · Cristhian Danilo PadillaMedina4 · Harold Bolaños3

1 Department of Pathology, Universidad del Cauca, Colombia.

2 Department of Pathology, Immunology and Infectious Diseases Research Group, School of Health Sciences, Universidad del Cauca, Colombia.

3 Department of Social Medicine and Family Health, Universidad del Cauca, Colombia.

4 Research Seedbed in Immunology and Infectious Diseases, School of Health Sciences, Universidad del Cauca, Colombia.

Acta Gastroenterol Latinoam 2022;52(4):484-493

Recibido: 19/04/2022 / Aceptado: 28/11/2022 / Publicado online: 21/12/2022 / https://doi.org/10.52787/agl.v52i4.200

Summary

Introduction. The Cauca region, in Colombia, has a high incidence of gastric cancer and there are few studies describing tumor microenvironment in gastric cancer samples obtained from this geographic region. Aim. The aim of this study was to describe the infiltration of CD3+, CD8+ T cells, the expression of programmed death-1 (PD-1) and programmed death ligand 1 (PD-L1), and Epstein-Barr virus infection in biopsies from Cauca patients with advanced intestinal-type gastric adenocarcinoma. Methodology. This is a descriptive cross-sectional study of 24 gastrectomy samples out of 48 samples analyzed. Expression of CD3, CD8, PD-1, and PD-L1 was analyzed using immunohistochemistry, and infection by Epstein-Barr virus was analyzed by Epstein-Barr virus-encoded small RNA in-si-

tu hybridization (EBER-ISH) in gastric tissue samples on formalin-fixed, paraffin-embedded. Finally, the immunoscore and the Combined Positive Score were calculated. Results. ITGA samples were 21.8% ± 13.6% and 14.8% ± 14.8% CD3 + and CD8 + positive respectively, 100% had low PD-1 expression, CPS score for PDL-1, 91.7% had <1 and 8.3% had >1. In EBER-ISH, 20.8% were positive, and in immunoscore, 16.7% had a score > 25%. Conclusion. This paper reports advanced ITGA cases with an atypical tumor microenvironment, compared to previously reported data. It is important to consider that the tumor microenvironment in gastric cancer is heterogeneous, which makes the analysis of microsatellite instability in this type of sample relevant.

Keywords. Stomach neoplasms, programmed cell death 1 ligand 2 protein, Epstein-Barr virus, Herpesvirus 4 Human, CD8-Positive T-Lymphocytes.

Estudio descriptivo del microambiente inmunológico tumoral e infección por el virus de Epstein-Barr en el adenocarcinoma gástrico

Resumen

Correspondence: Harold Bolaños

Email: haroldbolanos@unicauca.edu.co

Acta Gastroenterol Latinoam 2022;52(4):484-493

Introducción. La región del Cauca, Colombia, tiene una alta incidencia de cáncer gástrico y son pocos los estudios

484
♦ORIGINAL
ARTICLES

que describen el microambiente tumoral en muestras de cáncer gástrico de esta región geográfica. Objetivo. El objetivo del estudio fue describir la infiltración de células T CD3 + CD8+, la expresión de muerte programada-1 (PD-1) y ligando de muerte programada 1 (PD-L1), y la infección por el virus de Epstein-Barr en biopsias de adenocarcinoma gástrico tipo intestinal avanzado de pacientes de dicha región. Metodología. Se trata de un estudio descriptivo transversal realizado en 24 muestras de gastrectomía de las 48 analizadas. La expresión de CD3, CD8, PD-1 y PD-L1 se analizó por inmunohistoquímica y la infección por virus de EpsteinBarr mediante hibridación in-situ de pequeños ARN codificados por el virus de Epstein-Barr (EBER-ISH) en muestras de tejido gástrico fijadas e incluidas en parafina. Finalmente, se calcularon el inmunoscore y el puntaje combinado positivo. Resultados. Las muestras de adenocarcinoma gástrico tipo intestinal avanzado tenían 21,8 % ± 13,6 % y 14,8 % ± 14,8 % de CD3+ y CD8+ positivo respectivamente, el 100 % tenía baja expresión de PD-1, en puntuación combinado positivo para PDL- 1, el 91,7 % tenía < 1 y el 8,3% tenía > 1. En EBER-ISH el 20,8% dio positivo y en inmunoscore el 16,7% tenía un puntaje > 25%. Conclusión. Este trabajo reporta casos de adenocarcinoma gástrico tipo intestinal avanzado avanzados con microambiente tumoral atípico, comparado con lo reportado previamente. Es importante considerar que el microambiente tumoral en cáncer gástrico es heterogéneo, por lo que hace relevante el análisis de inestabilidad de microsatélites en este tipo de muestras.

Palabras claves. Neoplasias de estómago, muerte celular programada 1 Ligando 2 Proteína, virus de Epstein-Barr, Herpesvirus 4 Humano, linfocitos T CD8-positivo.

Abbreviations

GC: Gastric cancer.

PD-1: Programmed death-1.

PD-L1: Programmed death ligand 1.

EBV: Epstein-Barr virus.

ITGA: Intestinal Type Gastric Adenocarcinoma.

EBER-ISH: Epstein-Barr virus-encoded small RNAs chromogenic in situ hybridization.

FFPE: Formalin-fixed, paraffin-embedded.

CPS: Combined Positive Score.

TGCA: The Cancer Genome Atlas.

WHO: World Health Organization.

EBV+: EBV Positive.

MSI: Microsatellite instability.

CIN: Chromosomal instability.

TILs: Tumor-infiltrating lymphocytes.

H&E: Hematoxylin and eosin.

IHC: Immunohistochemistry.

NCCN: National Comprehensive Cancer Network.

Introduction

Even though the incidence of gastric cancer (GC) has decreased in recent years,1 it remains one of the most frequent malignant neoplasms worldwide.2 According to GLOBOCAN 2020, it was the fifth type of cancer and the fourth cause of cancer death in the world.3 In Colombia, by 2020, GC ranked fourth in incidence and was the leading cause of cancer death3 in the Department of Cauca, Southwestern Colombia. Although there is no recent information on incidence, the adjusted mortality rate for 2014 was 15.9%, one of the highest in the country, and ranking third place nationally.4

This neoplasm occurs more frequently in men (2:1 ratio) and is strongly related to age (around 65 years old).2 Patients may be asymptomatic in the early stages and in advanced stages report non-specific symptoms. 90% of cases are sporadic and 10% are associated with genetic abnormalities. The main risk factors are infection by Helicobacter pylori and Epstein-Barr virus (EBV).5, 6

There are different classification systems of GC based on tumor cytology and the architectural distribution of neoplastic cells. The most used are those of Lauren and the World Health Organization (WHO). But these classifications do not take into account the characteristics of the tumor microenvironment and do not provide information on the molecular and genetic bases that promote carcinogenesis nor do they determine the different types of histopathological phenotypes.1 In 2014, The Cancer Genome Atlas (TGCA) reported the results of the GC genome and proteome study, a project that identified the molecular subtypes and deregulated pathways in this cancer.7 Four molecular subtypes were defined: 1. EBV Positive (EBV+), 2. Microsatellite instability (MSI), 3. Genomically stable, and 4. Chromosomal instability (CIN). This molecular profile revolutionized the understanding of the heterogeneous mechanisms underlying the pathogenesis of GC1, 8 defining the characteristics of each subtype, information that explains the different phenotypes, the variable response to treatment, and the clinical course of patients.8

The molecular subtypes of GC, EBV+, and MSI, are histopathologically characterized by significant inflammatory infiltration into the tumor microenvironment, composed predominantly of CD3+ and CD8+ cells,

Acta Gastroenterol Latinoam 2022;52(4):484-493

485
Descriptive Study of Tumor Immune Microenvironment and Epstein-Barr Virus Infection in Gastric Adenocarcinoma Bravo-Luna L et al.

which varies according to the pathobiology of the tumor subtype and the expression of PD-L1.8 PD-L1 expression is associated with the evasion of the immune system in the tumor microenvironment, being this the mechanism used by neoplastic cells to evade the host’s immune response to cancer.9 The density of tumor-infiltrating lymphocytes (TILs) in GC has been evaluated using immunoscore estimation, which is a score that quantifies the CD3+ and CD8+ cells infiltration in the tumor microenvironment.10-12 These studies concluded that a high immunoscore is associated with increased disease-free survival and overall survival.11-14

The findings in the tumor microenvironment provide information on important aspects of tumorigenesis and its relationship to the prognosis and treatment of advanced stage GC patients.15 In some regions of Colombia the incidence of GC is high and diagnosis of cancer is made only through histopathological characteristics of the tumor cell, without considering the TILs and the expression of immune control molecules. Taking this into account, the aim of this work was to describe the tumor microenvironment on biopsies of advanced intestinal type adenocarcinoma from patients coming from an area with high incidence of GC and mortality in Colombia.

Methodology

A descriptive cross-sectional study was carried out. The study included gastrectomies performed between 2014 and 2016 on patients diagnosed with ITGA who have been classified with TNM stage II or III, and whose blocks of FFPE tissue specimens were in an adequate state of conservation. Patients with the following diagnosis were excluded: diffuse ITGA, I ITGA with TNM stage I or IV, immunosuppression or HIV infection, history of malignant neoplasm or autoimmune disease, history of chemotherapy, radiotherapy, or immunosuppressive treatment, and those whose FFPE blocks were deteriorated.

FFPE blocks were collected from the pathology laboratory of the Hospital Universitario San José, Popayán, Cauca, Colombia. For each case, the diagnosis was confirmed by two pathologists through the review of the slides stained with hematoxylin and eosin (H&E).

Ethical Considerations

The principles set out in the Declaration of Helsinki were followed. All tissue samples were coded anonymously, guaranteeing the confidentiality of patient information and the results obtained from the samples analyzed. The study was approved by the Ethics Committee from

Acta Gastroenterol Latinoam 2022;52(4):484-493

the Hospital Universitario San José (Approval Act Number 6 from May 19, 2016) and the Ethics Committee of the Universidad de Cauca (identification code 5095).

Immunohistochemistry (IHC)

The IHC was performed according to the manufacturer's instructions. Briefly, specific antibodies were used to identify PD-L1 (Clone ZR3 Zeta Corporation, California USA), PD-1 (Clone EP239 Cell Marque, Darmstadt, Germany), CD3 (Clone MRQ-39 Cell Marque, Darmstadt, Germany), and CD8 (Clone SP16 Cell Marque, Darmstadt, Germany) proteins on ITGA tissue sections. The tissue sections were dewaxed at 60°C for 1 hour, rehydrated and incubated with 0.3% hydrogen peroxide for 5 minutes at room temperature, blocked with 10% BSA (bovine albumin serum) for 10 minutes at room temperature, and incubated using the primary antibody at 4°C for 30 minutes, and then chromogen was added at room temperature for 1 hour. Finally, contrast staining with hematoxylin was performed. Sections of pharyngeal tonsil tissue were used as control tissue. All sections were observed and photographed under the microscope (Leica Biosystems, Wetzlar, Germany).

IHC Evaluation

For the PD-L1 expression, the membrane immunostaining (partial or complete) was evaluated with ≥ 1+ scores on viable tumor cells, lymphocytes, and macrophages. The evaluation was conducted using the CPS. The positive group for PD-L1 was defined with a CPS score ≥ 1, the negative cases constituted a CPS score < 1, as determined in the National Comprehensive Cancer Network (NCCN) guidelines.16

In the expression of PD-1, the membrane immunostaining of TILs was evaluated. The percentage of immunoreactive cells was quantified, with criteria of high expression > 20%, and the intensity of staining was evaluated as: 0 = Negative, 1+ = Weak, and 2+ = Intermediate-Strong; Low Intensity: 0 to 1+ and High Intensity: 2+. The reference values for PD-1 and infiltration of CD3 and CD8+ were taken according to the work of Wen et al. 2017.17

In order to study the immune response, the sites with the highest density of peritumoral and intratumoral lymphocytes were selected according to the previous review of the reference slide stained with hematoxylin and eosin, and the determination of CD3+ and CD8+ lymphocytes using the immunohistochemical technique.

Reactivity for CD3+ and CD8+ was considered positive when immunostaining on the cell membrane

486
Descriptive Study of Tumor Immune Microenvironment and Epstein-Barr Virus Infection in Gastric Adenocarcinoma Bravo-Luna L et al.

occurred. The average percentage of 4 high-powered fields (40x) representative of the tumor process was visually quantified. It was determined as low infiltration an average percentage < 20%, and high infiltration ≥ 20%.17 The immunoscore was calculated averaging the percentage of the CD3+ and CD8+ infiltration, and it was defined as a Low immunoscore: 0-25% and a High immunoscore: ≥ 25% following the standardized values for immunoscore in colon cancer according to the work of Pagès et al. 2018.11

The IHC sections analyses were validated and verified by two pathologists who did not know the clinical-pathological data of the patients.

Colorimetric In Situ Hybridization

EBV infection in tumor cells was demonstrated with EBER-ISH technique, and automated Ventana (Benchmark XT) equipment using an EBER 1 DNP probe (Ventana, cat # 760-1209A, Tucson, AZ) and the ISH iView Blue Plus antiDNP detection system (Ventana, Tucson, AZ) was also used according to the manufacturer's indications.

EBER-ISH Evaluation

EBV infection through EBER-ISH (INFORM EBER probe from Roche) was positive when nuclear staining was observed in more than 80% of the tumor cells.

Statistical Analysis

Standard statistical tests were used to analyze clinical data. Univariate analyses and a bivariate analysis between the EBER-ISH variable, and the clinical and pathological variables were performed. To compare the relationship between the variables, the Pearson chi-square statistic or Fisher exact statistic was used according to the number of categories of the variables, and the significance level was established at p < 0.005. Data were analyzed with the statistical software SPSS version.25

Results

A total of 48 clinical records of patients with ITGA who underwent gastrectomy at the Hospital Universitario San José in Popayán (2014 to 2016) were analyzed. The study population was determined applying the inclusion and exclusion criteria. 24 patients with ITGA were included in the study; 66.7% were men (n= 16) and 33.3% were female (n= 8). The mean age at diagnosis was 65 years old with a standard deviation of ± 12.8 years. All cases were histologically characterized as lymphoepithelioma-like carcinoma; moreover, in 22 cases, the TNM stage was III and in 2 cases, stage II. The histopathological characteristics are presented in Table 1.

Table 1. Percentage distribution of histopathological variables in samples of patients diagnosed with intestinal type gastric adenocarcinoma (2014 – 2016)

Variables

Lymphovascular invasion

Perineural invasion

n (n= 24) %

Not identified 3 12.5 Present 21 87.5

Not identified 14 58.3 Present 10 41.7

Concomitant lymphovascular and perineural invasion Not identified 14 58.3 Present 10 41.7

Positive number of lymph nodes 1 to 2 5 20.8 3 to 6 4 16.7 7 to 15 8 33.3 ≥ 16 4 16.7 Negative 3 12.5 Pathological TNM

IIB 2 8.3 IIIA 11 45.8 IIIB 6 25 IIIC 5 20.8

Atrophy

No 4 16.7 Yes 20 83.3

Intestinal metaplasia No 9 37.5 Yes 15 62.5 H. pylori No 12 50 Yes 12 50

Borrmann classification

Type of gastrectomy

Type I 2 8.3 Type II 2 8.3 Type III 14 58.3 Type IV 6 25

Total 18 75 Subtotal distal 2 8.3 Subtotal proximal 1 4.2 Unknown 3 12.5

Location

Proximal 5 20.8 Medial 9 37.5 Distal 8 33.3 Multiple locations 2 8.3

Tumor size

Histological grade

Tumor extension

Less than 4 cm 5 20.8 Larger than 4 cm 19 79.2

Grade 1 9 37.5 Grade 2 11 45.8 Grade 3 4 16.7

Submucosal Invasion 1 4.2 Muscularis Propria invasion 21 87.5 Serosa invasion 2 8.3

CD3+ and CD8+ T-lymphocyte population density and immunoscore in samples of patients with advanced ITGA.

Acta Gastroenterol Latinoam 2022;52(4):484-493

487
Descriptive Study of Tumor Immune Microenvironment and Epstein-Barr Virus Infection in Gastric Adenocarcinoma Bravo-Luna L et al.

The percentage of the CD3+ infiltration averaged 21.8% (SD: 13.6%) and the CD8+ infiltration averaged 14.8% (SD: 10.9%). In the immunoscore calculation, the highest percentage was 62.5% and the lowest was 6%, with an average of 18.1% (SD: 12.2%). The percentage distribution is shown in Figure 1.

Figure 1. Percentage distribution of variables CD3+, CD8+ and immunoscore in samples of patients diagnosed with intestinal type gastric adenocarcinoma (2014-2016). Each bar represents mean of values

positive cases for EBV presented low expression of PD-1 (< 20%) with a weak intensity of immunostaining and a < 1 CPS score. The percentage distribution of lymphoid infiltration is shown in Table 3.

Figure 2. Representative images of advanced intestinal type adenocarcinoma findings. A. Hematoxylin & eosin staining shows the gastric antral mucosa (stomach), with a dense infiltrate TILs; B. It is detailed the presence of tumor cells accompanied by TILs. C and D. the presence of CD3+ lymphocyte by IHC. E and F. the presence of CD8+ lymphocyte by IHC. G and H. PDL-1 expression on cancer cells. I and J. PD-1 negative on T lymphocytes by IHC. All sections were appreciated at 10X and 40X magnification

Intensity and Percentage of PD-1 Expression and Report of the CPS in Samples from Patients with Advanced ITGA

All ITGA samples had low expression of PD-1 (< 20%) and weak intensity of immunostaining. The calculation of CPS, in which the PD-L1 protein expression is reported, revealed that 91.7% of the cases (n= 22) had a score < 1 and only 8.3% (n= 2) had a score ≥ 1 (Figure 2).

EBV Expression by EBER-ISH in Advanced ITGA

The expression of EBV by EBER-ISH showed that 5 of the patients in the study (20.8%) presented infection by the virus in the cancer cells. The histopathological characteristics are shown in Table 2.

EBER-ISH positive patients (n= 5) reported low immunoscore (≤ 25%) and low CD8+ infiltration density (< 20%). 80% of the cases were low CD3+ (< 20%) and only 20% (n= 1) had high CD3+ (> 20%). Similarly, all

488 Acta
Gastroenterol Latinoam 2022;52(4):484-493
Descriptive Study of Tumor Immune Microenvironment and Epstein-Barr Virus Infection in Gastric Adenocarcinoma Bravo-Luna L et al.
0 60 100 20 40 80 Cells positives percentage CD3+ 54.2 Low ˂ 20% 45.8 High > 20% CD8+ 75.0 Low ˂ 20% 25.0 High > 20% Immunoscore 83.3 Low ˂ 25% 16.7 High > 25%
A B C D E F G H I J

Descriptive Study of Tumor Immune Microenvironment and Epstein-Barr Virus Infection in Gastric Adenocarcinoma Bravo-Luna L

Table 2. Analysis of bivariate of EBER-ISH and pathological clinical characteristics of patients diagnosed with gastric adenocarcinoma of intestinal type 2014 -2016

EBER-ISH

Variables Negative Positive Total P* Value

n % n % n %

Ages

> 60 years 12 63.2% 3 60.0% 15 62.5% 0.640 ≤ 60 years 7 36.8% 2 40.0% 9 37.5%

Gender

Male 14 73.7% 2 40.0% 16 66.7% 0.186 Female 5 26.3% 3 60.0% 8 33.3%

Lymphovascular invasion

Not identified 2 10.5% 1 20.0% 3 12.5% 0.521 Present 17 89.5% 4 80.0% 21 87.5%

Perineural invasion

Not identified 12 63.2% 2 40.0% 14 58.3% 0.332 Present 7 36.8% 3 60.0% 10 41.7%

Borrmann Classification

Tipo I, II, III 14 73.7% 4 80.0% 18 75.0% 0.634 Tipo IV 5 26.3% 1 20.0% 6 25.0%

Histological grade Grade 1 6 31.6% 3 60.0% 9 37.5% 0.255 Grade 2 and 3 13 68.4% 2 40.0% 15 62.5%

Pathological TNM

IIIA y IIB 10 52.6% 3 60.0% 13 54.2% 0.949 IIIB 5 26.3% 1 20.0% 6 25.0% IIIC 4 21.1% 1 20.0% 5 20.8%

Positive number of lymph nodes Negative / 1 to 2 7 36.8% 1 20.0% 8 33.3% 3 to 6 2 10.5% 2 40.0% 4 16.7% 0.427 7 to 15 7 36.8% 1 20.0% 8 33.3% ≥ 16 3 15.8% 1 20.0% 4 16.7%

Location

Proximal 4 21.1% 1 20.0% 5 20.8% Medial 8 42.1% 1 20.0% 9 37.5% 0.652 Distal 6 31.6% 2 40.0% 8 33.3% Multiple locations 1 5.3% 1 20.0% 2 8.3%

Tumor extension

Submucosal, muscularis propria 1 5.3% 0 0 1 4.2% 0.267 and Serosa invasion

Muscularis propria invasion 17 89.5 % 4 80.0% 21 87.5% Serosa invasion 1 5.3 1 20.0 2 8.3%

*Chi-square independence P value.

Acta Gastroenterol Latinoam 2022;52(4):484-493

489
et al.

Table 3. Distribution of EBER-ISH according to CD3+, CD8+ percentage, and immunoscore in samples of patients diagnosed with gastric adenocarcinoma of intestinal type 2014 -2016

EBER-ISH

Variables Positive Negative P* Value

n % n %

CD-3

High > 20% 1 20.0 10 52.6 0.193 Low < 20% 4 80.0 9 47.4

CD-8

High > 20% 0 0.0 6 31.6 0.147 Low < 20% 5 100.0 13 68.4

Immunoscore

High > 25% 0 0.0 4 21.1 0.261 Low =<25% 5 100.0 15 78.9

*Chi-square independence P value.

Discussion

This study describes the CD3+ and CD8+ infiltration, the expression of PD-1 and PD-L1 proteins, and the EBV infection in 24 ITGA samples from a Colombian region with high incidence of GC and mortality. In the evaluation of clinical characteristics such as sex and age at diagnosis and histopathological findings of tumor lesions, it was noticed that those characteristics correlate with reported information found in the literature on advanced stage GC and GC associated with EBV.5, 18 The only exceptions are age and sex of EBER-ISH positive patients since it has been reported that GC associated with EBV is prevalent in male patients with a 2:1 or 3:1 ratio and occurs in people under 60 years old.18

In GC has been conducted the evaluation and quantification of TILs with the immunoscore value in which high immunoscore correlates with lower pT stage, post-surgical survival, and chemotherapeutic benefits. 12, 19-21 In order to score the density of TILs microenvironment this study used the colon cancer immunoscore parameters, the only score validated to evaluate the count of T lymphocytes.11 20% of the patients presented a high immunoscore (≥ 25% score) and were classified in clinical stage III, as it was reported previously in advanced clinical conditions associated with high lymphoid infiltration.12, 21

In the immune checkpoint, PD-1and PD-L1 pathway plays a main role inside the tumoral microenvironment because the high expression of PD-1 on lymphocytes defines them as exhausted T cells and the expression

of PD-L1 in tumor cells contributes to T cell inhibition when engages with PD-1.22 In recent years, that pathway has stood out as a target therapeutics in malignant neoplasms; for that reason, it is important to study the expression of both membrane proteins in a tumoral context to determine a therapeutic strategy.23 Although in the case of gastric adenocarcinoma, the cut-off point according to which PD-L1 is positive, could be considered useful for therapeutic purposes, this kind of analysis remains not clear yet.24 Specially because to these study, the ZR3 Zeta antibody clone, used for identification of PD-L1 expression, was only aimed at determining its expression and studying the type of immune response in the analyzed cases. In addition, we determined PDL1 expression following the NCCN 2020 guidelines for the management of GC21 which indicates that the CPS is the most useful assessment method for this molecule.25 In this study, only 8.3% of the cases (n= 2) had a > 1 score, which also reported the highest percentages of CD3+ and CD8+ lymphoid infiltration. As a reporter by Xing et al. (2018), PD-L1 has high expression in tumor or immune cells. Its association with lymphocyte infiltration and further good outcome should be remarked.26 Previous studies have reported that PD-L1 expressions are consistent with advanced clinical stages.25, 27 However, in this study almost all samples were classified as a clinical stage between II and III, 91.7% had CPS < 1 score. The low PD- L1 expression would be explained by the absence of standardization of IHC, and by the antibodies clones variability available which

490 Acta
Gastroenterol Latinoam 2022;52(4):484-493
Descriptive Study of Tumor Immune Microenvironment and Epstein-Barr Virus Infection in Gastric Adenocarcinoma Bravo-Luna L et al.

brings conflicting results related to PDL1 expression.22, 26 As shown by Liang et al 2020, there was a variation in intensity staining and PD-L1 positive proportion of cells in advanced cervical cancer.28 These divergences could suggest the need to confirm the expression of PDL1 by other molecular methods or using more than one clone of the antibody.

The EBV infection evaluated with colorimetric EBER-ISH technique showed that 20% of gastric samples were positive. This finding agrees with the worldwide estimation of EBV being responsible for 5.6%19.5% of cases with GC. 29 In the histopathological features, the EBV+ GC is associated with an abundant inflammatory infiltration by the presence of viral antigens. This is associated with a greater presentation of neoepitope, which contributes to an antitumor immune response. 29 The high lymphocyte infiltration associated with EBV in GC has been reported by Cho et al 2018 who manifested that the cases of EBV+ GC are associated with a high density of intratumoral CD8+ cells, in comparison to its negative counterpart, 30 and by Gong et al. (2019) who pointed out that the higher density of TILs was present in EBV+ GC.31 In this study, the EBV positive gastric samples present infiltration of CD3+ and CD8+ lymphocytes < 20%, that finding correlates with those reported by Cheng et al. (2022) where is shown that 52.4% and 35.7% of the EBV+ GC samples presented lymphocyte infiltration between < 10% and 10-50%, respectively. 32 The lymphocyte infiltration in EBV+ GC is a typical feature of an antitumor immune response that can be translated into a good prognostic indicator.

Patients who were EBER-ISH negative presented high lymphocyte infiltration. Since this result is not associated with EBV infection. It is suggested that cancer in these patients could be related to MSI, another molecular subtype of GC that presents with abundant inflammatory infiltration, which occurs in response to the high rate of somatic mutations, which generate neoantigens that also cause an immune system response.33 The emerging knowledge about the prognostic and predictive role of MSI in GC has prompted in recent years to routinely test patients with GC to determine this molecular characteristic.34

The GC associated with EBV+ is characterized by the amplification of the CD247 gene that codes for the PDL1 protein which leads to the robust expression of PDL1.35 This PD-L1 overexpression has been evaluated and corroborated in several studies such as those published by Noh et al. 2018, Pereira et al. (2018) and Choy et al. (2018), who mention that PD-L1 overexpression was

significantly associated with the EBV infection and the MSI status, compared to its negative counterpart.30, 36, 37 Although EBV positive patients did not have PD-L1 overexpression, as expected. This finding may be related to what was referred by Sundar et al. (2018) who stated that a substantial proportion of cases with GC associated with EBV does not express high levels of PD-L1 and other immune agents such as PD-1 because of a low transcriptomic expression of proteins.38 This situation could have occurred in our study.

In summary, the tumor microenvironment of patients with GC from a high incidence area of this disease shows atypical aspects, as in the positive EBER-ISH cases had < 20%, CD3+ and CD8+ lymphocytes infiltration, low immunoscore value, and PD-L1 low expression, while negative EBER-ISH cases had high immunoscore value. Thus, it is important, in the future, to consider studying other molecular aspects of cancer such as the MSI status to complement the molecular characterization of these patients. This study contributes to understanding the tumor microenvironment in GC and expects to promote new studies that characterize the different GC subtypes in Colombia, a country with one of the highest GC rates in Latin America.

Consent for Publication. Anonymized data were used for the elaboration of this article, which did not distort its scientific value.

Intellectual Property. The authors declare that the data, figures and tables that appear in this article are original and were made in their belonging institutions.

Funding. The author states that the Vice-rectory of research of Universidad del Cauca (identification code 5095) funded this study.

Conflict of interest. The author declares that he has no conflicts of interest in relation to this article.

Acknowledgments. We are grateful to the Hospital Universitario San José for the FFPE samples provided and the permission given to review clinical records, and the Vice-rectory of research of Universidad del Cauca, who contributed to financial of the resident of medical specialist in Anatomical pathology during the development of this work.

491
Acta Gastroenterol Latinoam 2022;52(4):484-493
Descriptive Study of Tumor Immune Microenvironment and Epstein-Barr Virus Infection in Gastric Adenocarcinoma Bravo-Luna L et al.

Copyright © 2022 Acta Gastroenterológica Latinoamericana. This is an openaccess article released under the terms of the Creative Commons Attribution (CC BY-NCSA 4.0) license, which allows non-commercial use, distribution, and reproduction, provided the original author and source are acknowledged

Cite this article as: Bravo-Luna L, Dueñas-Cuellar R A, Niño-Castaño V E et al. Descriptive Study of Tumor Immune Microenvironment and Epstein-Barr Virus Infection in Gastric Adenocarcinoma. Acta Gastroenterol Latinoam. 2022; 52(4):484-493. https://doi.org/10.52787/agl.v52i4.200

References

1. Liu X, Meltzer SJ. Gastric cancer in the era of precision medicine. Cellular and molecular gastroenterology and hepatology. 2017;3(3):348-58.

2. Sierra MS, Cueva P, Bravo LE, Forman D. Stomach cancer burden in Central and South America. Cancer epidemiology. 2016;44:S62-S73.

3. Sung H, Ferlay J, Siegel RL, Laversanne M, Soerjomataram I, Jemal A, et al. Global cancer statistics 2020: GLOBOCAN estimates of incidence and mortality worldwide for 36 cancers in 185 countries. CA: a cancer journal for clinicians. 2021;71(3):209-49.

4. Ospina ML, Huertas JA, Montaño JI, Rivillas JC. Observatorio nacional de cáncer Colombia. Revista Facultad Nacional de Salud Pública. 2015;33(2):262-76.

5. Nagtegaal ID, Odze RD, Klimstra D, Paradis V, Rugge M, Schirmacher P, et al. The 2019 WHO classification of tumours of the digestive system. Histopathology. 2020;76(2):182.

6. Asakawa Y, Okabe A, Fukuyo M, Li W, Ikeda E, Mano Y, et al. Epstein-Barr virus-positive gastric cancer involves enhancer activation through activating transcription factor 3. Cancer science. 2020;111(5):1818.

7. Sohn BH, Hwang J-E, Jang H-J, Lee H-S, Oh SC, Shim J-J, et al. Clinical significance of four molecular subtypes of gastric cancer identified by the cancer genome atlas project. Clinical Cancer Research. 2017;23(15):4441-9.

8. Kim TS, Da Silva E, Coit DG, Tang LH. Intratumoral immune response to gastric cancer varies by molecular and histologic subtype. The American journal of surgical pathology. 2019;43(6):851.

9. Vareki SM, Garrigós C, Duran I. Biomarkers of response to PD-1/PD-L1 inhibition. Critical reviews in oncology/hematology. 2017;116:116-24.

10. Dabbs DJ. Diagnostic Immunohistochemistry E-Book: Theranostic and Genomic Applications: Elsevier Health Sciences; 2017.

11. Pagès F, Mlecnik B, Marliot F, Bindea G, Ou F-S, Bifulco C, et al. International validation of the consensus Immunoscore for the classification of colon cancer: a prognostic and accuracy study. The Lancet. 2018;391(10135):2128-39.

Acta Gastroenterol Latinoam 2022;52(4):484-493

12. Yun S, Koh J, Nam SK, Kwak Y, Ahn S-H, Do Park J, et al. Immunoscore is a strong predictor of survival in the prognosis of stage II/III gastric cancer patients following 5-FU-based adjuvant chemotherapy. Cancer Immunology, Immunotherapy. 2021;70(2):431-41.

13. Mlecnik B, Bifulco C, Bindea G, Marliot F, Lugli A, Lee JJ, et al. Multicenter International Society for Immunotherapy of Cancer study of the consensus Immunoscore for the prediction of survival and response to chemotherapy in stage III colon cancer. J Clin Oncol. 2020:3638-51.

14. Bruni D, Angell HK, Galon J. The immune contexture and Immunoscore in cancer prognosis and therapeutic efficacy. Nature Reviews Cancer. 2020;20(11):662-80.

15. Yuan Y, Jiang Y-C, Sun C-K, Chen Q-M. Role of the tumor microenvironment in tumor progression and the clinical applications. Oncology reports. 2016;35(5):2499-515.

16. Network NCC. National Comprehensive Cancer Network (NCCN) Guidelines. 2015.

17. Wen T, Wang Z, Li Y, Li Z, Che X, Fan Y, et al. A four-factor immunoscore system that predicts clinical outcome for stage II/III gastric cancer. Cancer immunology research. 2017;5(7):524-34.

18. Naseem M, Barzi A, Brezden-Masley C, Puccini A, Berger MD, Tokunaga R, et al. Outlooks on Epstein-Barr virus associated gastric cancer. Cancer treatment reviews. 2018;66:15-22.

19. Zeng D, Zhou R, Yu Y, Luo Y, Zhang J, Sun H, et al. Gene expression profiles for a prognostic immunoscore in gastric cancer. Journal of British Surgery. 2018;105(10):1338-48.

20. Jiang Y, Zhang Q, Hu Y, Li T, Yu J, Zhao L, et al. ImmunoScore signature: a prognostic and predictive tool in gastric cancer. Annals of surgery. 2018;267(3):504-13.

21. Jiang Y, Wang H, Wu J, Chen C, Yuan Q, Huang W, et al. Noninvasive imaging evaluation of tumor immune microenvironment to predict outcomes in gastric cancer. Annals of Oncology. 2020;31(6):760-8.

22. Wang X, Teng F, Kong L, Yu J. PD-L1 expression in human cancers and its association with clinical outcomes. OncoTargets and therapy. 2016;9:5023.

23. Sun C, Mezzadra R, Schumacher TN. Regulation and function of the PD-L1 checkpoint. Immunity. 2018;48(3):434-52.

24. Xie T, Zhang Z, Zhang X, Qi C, Shen L, Peng Z. Appropriate PDL1 cutoff value for gastric cancer immunotherapy: a systematic review and meta-analysis. Frontiers in oncology. 2021;11:646355.

25. Yamashita K, Iwatsuki M, Harada K, Eto K, Hiyoshi Y, Ishimoto T, et al. Prognostic impacts of the combined positive score and the tumor proportion score for programmed death ligand-1 expression by double immunohistochemical staining in patients with advanced gastric cancer. Gastric Cancer. 2020;23(1):95-104.

26. Xing X, Guo J, Ding G, Li B, Dong B, Feng Q, et al. Analysis of PD1, PDL1, PDL2 expression and T cells infiltration in 1014 gastric cancer patients. Oncoimmunology. 2018;7(3):e1356144.

27. Koh J, Ock C-Y, Kim JW, Nam SK, Kwak Y, Yun S, et al. Clinicopathologic implications of immune classification by PD-L1 expression and CD8-positive tumor-infiltrating lymphocytes in stage II and III gastric cancer patients. Oncotarget. 2017;8(16):26356.

28. Liang Y, Yu M, Zhou C, Zhu X. Variation of PD-L1 expression in locally advanced cervical cancer following neoadjuvant chemotherapy. Diagnostic Pathology. 2020;15:1-8.

492
Descriptive Study of Tumor Immune Microenvironment and Epstein-Barr Virus Infection in Gastric Adenocarcinoma Bravo-Luna L et al.

29. Wang H, Chen X-L, Liu K, Bai D, Zhang W-H, Chen X-Z, et al. Associations between gastric cancer risk and virus infection other than epstein-barr virus: a systematic review and meta-analysis based on epidemiological studies. Clinical and translational gastroenterology. 2020;11(7).

30. Cho CJ, Kang HJ, Ryu Y-M, Park YS, Jeong HJ, Park Y-M, et al. Poor prognosis in Epstein–Barr virus-negative gastric cancer with lymphoid stroma is associated with immune phenotype. Gastric Cancer. 2018;21(6):925-35.

31. Gong L-p, Chen J-n, Xiao L, He Q, Feng Z-y, Zhang Z-g, et al. The implication of tumor-infiltrating lymphocytes in Epstein-Barr virus–associated gastric carcinoma. Human pathology. 2019;85:82-91.

32. Cheng N, Li P, Cheng H, Zhao X, Dong M, Zhang Y, et al. Prognostic Value of Tumor-Infiltrating Lymphocytes and Tertiary Lymphoid Structures in Epstein-Barr Virus-Associated and-Negative Gastric Carcinoma. Frontiers in immunology. 2021;12:2560.

33. Rodriquenz MG, Roviello G, D’Angelo A, Lavacchi D, Roviello F, Polom K. MSI and EBV positive gastric cancer’s subgroups and their link with novel immunotherapy. Journal of clinical medicine. 2020;9(5):1427.

34. Ratti M, Lampis A, Hahne JC, Passalacqua R, Valeri N. Microsatellite instability in gastric cancer: molecular bases, clinical perspectives, and new treatment approaches. Cellular and Molecular Life Sciences. 2018;75(22):4151-62.

35. Derks S, Liao X, Chiaravalli AM, Xu X, Camargo MC, Solcia E, et al. Abundant PD-L1 expression in Epstein-Barr Virus-infected gastric cancers. Oncotarget. 2016;7(22):32925.

36. Noh B-J, Kim JH, Eom D-W. Prognostic significance of categorizing gastric carcinoma by PD-L1 expression and tumor infiltrating lymphocytes. Annals of Clinical & Laboratory Science. 2018;48(6):695-706.

37. Pereira MA, Ramos MF, Faraj SF, Dias AR, Yagi OK, Zilberstein B, et al. Clinicopathological and prognostic features of Epstein-Barr virus infection, microsatellite instability, and PDL1 expression in gastric cancer. Journal of surgical oncology. 2018;117(5):829-39.

38. Sundar R, Qamra A, Tan ALK, Zhang S, Ng CCY, Teh BT, et al. Transcriptional analysis of immune genes in Epstein–Barr virus-associated gastric cancer and association with clinical outcomes. Gastric Cancer. 2018;21(6):1064-70.

Acta Gastroenterol Latinoam 2022;52(4):484-493

493
Descriptive Study of Tumor Immune Microenvironment and Epstein-Barr Virus Infection in Gastric Adenocarcinoma Bravo-Luna L et al.

La operación de Frey en el tratamiento quirúrgico de la pancreatitis crónica

Hugo Zandalazini1 · Carlos Ocampo2 · Jorge Facundo Alonso Quintas3 · Luciano Coiz3 Magalí Muthular4 · Pablo Merchan5 · Enrique Petracchi3

1 Jefe de unidad del servicio de Cirugía - Profesor Adjunto de Cirugía de la UBA. Doctor en Medicina.

2 Jefe de servicio de Cirugía - Profesor Adjunto de Cirugía de la UBA. Doctor en Medicina.

3 Médico de planta del servicio de Cirugía.

4 Jefa de residentes de Cirugía.

5 Exjefe de residentes de Cirugía.

Hospital Argerich, Ciudad Autónoma de Buenos Aires, Argentina.

Acta Gastroenterol Latinoam 2022;52(4):494-501

Recibido: 08/09/2022 / Aceptado: 04/12/2022 / Publicado online: 21/12/2022 / https://doi.org/10.52787/agl.v52i4.253

Resumen

Introducción. En la actualidad existen controversias sobre la mejor estrategia para el alivio del dolor en la pancreatitis crónica refractaria a los analgésicos. Objetivo. El objetivo de este trabajo fue el de evaluar los resultados de la operación de Frey para el tratamiento quirúrgico del dolor. Material y métodos. Entre junio de 1995 y junio de 2019 se incluyeron los pacientes operados mediante la cirugía de Frey. Se evaluaron las características morfológicas del páncreas mediante tomografía y/o resonancia nuclear magnética, la función endócrina y exocrina previa a la cirugía, así como los resultados inmediatos (morbilidad y mortalidad operatoria) y alejados (alivio del dolor e insuficiencia pancreática). Se realizó un análisis retrospectivo de una base de datos prospectiva. Resultados. Se realizaron 59 operaciones de Frey (8 mujeres y 51 hombres). La edad promedio fue de 38,75 años (rango 32-57). Todos los pacientes tenían masa cefálica y

un conducto de Wirsung mayor de 6 mm en las imágenes. Fueron todos operados dentro de los tres años de iniciado el tratamiento médico del dolor. Cinco recibieron opioides (por menos de seis meses) y ninguno fue tratado endoscópicamente. Cinco pacientes presentaron complicaciones (8,4%) y no hubo mortalidad. La efectividad del procedimiento fue del 90,5%. Cinco pacientes desarrollaron diabetes y ocho, esteatorrea. Conclusiones. La operación de Frey es una técnica quirúrgica segura y efectiva para el manejo del dolor en la pancreatitis crónica. Los buenos resultados observados pueden estar influenciados por la brevedad del tratamiento médico previo y la ausencia de procedimientos endoscópicos. Estos hallazgos deben ser confirmados por estudios posteriores.

Palabras claves. Pancreatitis crónica, operación de Frey, dolor pancreático, cirugía temprana.

The Frey Procedure in the Surgical Treatment of Chronic Pancreatitis

Summary

Correspondencia: Hugo Zandalazini

Correo electrónico: hugohugoz@yahoo.es

Acta Gastroenterol Latinoam 2022;52(4):494-501

Introduction. There are currently controversies about the best strategy for pain relief in chronic pancreatitis refractory to analgesics. Aim. The objective of this work was to evaluate the results of Frey’s procedure in the surgical treatment of pain. Material and methods. Between June 1995 and June 2019, patients who underwent Frey's procedure were included. The morphological characteristics of the pancreas

494
♦MANUSCRITO ORIGINAL

were evaluated by tomography and/or magnetic resonance imaging, the endocrine and exocrine function before surgery, as well as the immediate and distant results (operative morbidity and mortality; and pain relief and pancreatic insufficiency) results. A retrospective analysis of a prospective database was made. Results. 59 Frey procedures were performed (8 women and 51 men). The average age was 38.7 years (32-57). All patients had a head mass and a Wirsung duct greater than 6mm on imaging. They were all operated within three years of starting medical treatment for pain. 5 received opioids (for less than six months) and none were treated endoscopically. 5 patients presented complications (8.4%) and there was no mortality. The success rate of the procedure was 90.5%. Five patients developed diabetes and 8 steatorrhea. Conclusions. Frey's procedure is a safe and effective surgical technique for pain management in chronic pancreatitis. The success of the treatment may be influenced by a shorter previous medical treatment and the absence of endoscopic procedures. These findings need to be confirmed by further studies.

Keywords. Chronic pancreatitis, Frey's procedure, pancreatic pain, early surgery.

Abreviaturas

PC: Pancreatitis crónica.

DA: Dolor abdominal.

DPC: Duodenopancreatectomía cefálica.

OF: Operación de Frey.

DBT: Diabetes.

CCI: Índice integral de complicaciones (por sus siglas en inglés)

Introducción

La pancreatitis crónica (PC) es una enfermedad inflamatoria que provoca daños irreversibles en la estructura de la glándula pancreática, con pérdida progresiva de la función endocrina y exocrina.

A pesar de ser una enfermedad benigna, presenta una alta morbilidad que impacta sobre la calidad de vida, acortando la expectativa de vida de los enfermos en entre 10 y 20 años.

Por tratarse de una enfermedad cuyo mecanismo etiopatogénico se desconoce, todas las medidas terapéuticas son de carácter paliativo. Las principales indicaciones quirúrgicas en los pacientes con pancreatitis crónica son el dolor abdominal (DA) que no responde al tratamiento médico, el tratamiento de las complicaciones locales y la imposibilidad de excluir el cáncer de páncreas.

El DA es el síntoma más frecuente e invalidante de

esta enfermedad, así como la principal indicación de cirugía. En la actualidad, la estrategia terapéutica para tratar este síntoma es tema de controversia. Numerosos centros proponen un manejo multidisciplinario basado en pasos sucesivos, que se inicia con un tratamiento conservador con analgésicos de potencia creciente. Ante la persistencia del dolor, se propone recurrir al tratamiento endoscópico y, como última opción, al tratamiento quirúrgico.1

Por el contrario, estudios recientes observaron una superioridad de la cirugía en comparación con la endoscopía para controlar el dolor a largo plazo, y sugieren incluso un mejor resultado cuando la indicación quirúrgica se realiza en forma temprana.2 Diferentes procedimientos quirúrgicos han sido evaluados para determinar cuál es el indicado para el tratamiento del DA en la pancreatitis crónica. Desde procedimientos de drenajes ductal hasta la resección extensa que propone la duodenopancreatectomía cefálica (DPC), pasando por opciones intermedias.

El objetivo de este trabajo fue el de evaluar los resultados tanto inmediatos como alejados de la operación de Frey (OF), una cirugía que combina resección del parénquima y drenaje del conducto pancreático con conservación del duodeno.

Materiales y Métodos

En el período comprendido entre junio de 1995 y junio de 2019 se incluyeron en el estudio a todos los pacientes con diagnóstico de pancreatitis crónica y DA intratable que fueron intervenidos quirúrgicamente mediante la OF. Se realizó un análisis retrospectivo de una base de datos prospectiva.

Se indicó la OF en los pacientes con masa a nivel de la cabeza del páncreas y dilatación del conducto de Wirsung mayor de 6 mm, con DA intratable con analgésicos no opioides (Figura 2).

Los pacientes que presentaban otras complicaciones relacionadas con la PC, como colestasis y obstrucción duodenal, así como también la sospecha de cáncer de páncreas, fueron tratados mediante una DPC.

Evaluación preoperatoria

El estudio preoperatorio incluyó alguna de las siguientes modalidades diagnósticas: tomografía computada dinámica en tiempo arterial y venoso, y/o resonancia nuclear magnética con colangiopancreatorresonancia.

Se consignó en todos los casos el diámetro del conducto pancreático principal, los tratamientos previos con analgésicos (tipo y tiempo de uso) y los procedimientos endoscópicos, la presencia de insuficiencia endocrina (diabetes [DBT]) y exocrina y el período de tiempo desde el inicio del dolor hasta la realización de la cirugía.

La evaluación preoperatoria incluyó en todos los pa-

Acta Gastroenterol Latinoam 2022;52(4):494-501

495
La operación de Frey en el tratamiento quirúrgico de la pancreatitis crónica Hugo Zandalazini y col.

cientes la identificación del riesgo quirúrgico preoperatorio y fueron clasificados de acuerdo con la Sociedad Americana de Anestesiología (ASA, por sus siglas en inglés).

Figura 1. A: Esquema que muestra la creación de una cavidad única luego del destechamiento del conducto pancreático principal y la resección de tejido pancreático a nivel de la cabeza (cavidad ojival). B: Corte transversal a nivel de la cabeza del páncreas (línea roja) que muestra el límite posterior de la resección. C: Corte longitudinal que muestra la continuidad con el Wirsung destechado a lo largo del cuerpo y cola (línea roja), pasando por delante de los vasos mesentéricos sin seccionar el cuello del páncreas (flecha negra)

A

Técnica quirúrgica

La OF es una técnica quirúrgica que combina la resección local del parénquima pancreático de la cabeza conservando el duodeno, con el drenaje del conducto pancreático principal a lo largo del cuerpo y la cola.3

La resección de la cabeza se realiza en forma parcial, conservando un margen de tejido pancreático de aproximadamente 1 cm sobre el marco duodenal y la vena porta. A la cavidad resultante en la cabeza se la comunica con el conducto pancreático principal del cuerpo y cola, previamente destechado, transformándolo en una estructura única. El procedimiento finaliza con la anastomosis de la cavidad labrada a lo largo de todo el páncreas y el yeyuno (Figuras 1 y 3).

Figura 2. Tomografía computada que demuestra las alteraciones morfológicas características para la indicación de este procedimiento. A: Cabeza de páncreas aumentada de tamaño con cálculos intraductales e impactados en los canalículos periféricos y en el parénquima. B: dilatación del conducto pancreático principal (Wirsung) del cuerpo y cola.

A

B

496 Acta Gastroenterol
Latinoam 2022;52(4):494-501
La operación de Frey en el tratamiento quirúrgico de la pancreatitis crónica Hugo Zandalazini y col.
B Corte longitudinal C Corte transversal

Evaluación intraoperatoria

El estudio preoperatorio incluyó en todos los casos la realización de una ecografía intraoperatoria con transductor lineal de 7,5 Mhz, para evaluar el sistema ductal y guiar la punción para realizar la wirsungrafía y la extracción posterior de los cálculos intraparenquimatosos, en especial los localizados dentro del parénquima de la cabeza pancreática.

Se consignó el tiempo operatorio y la necesidad de transfusión.

Evaluación post operatoria

Los enfermos luego de la cirugía fueron evaluados en el post operatorio inmediato y luego del alta sanatorial en forma periódica.

Resultados inmediatos

Para estratificar las complicaciones y la mortalidad post operatoria dentro de los 30 días luego de la cirugía, se utilizó la Clasificación de Dindo-Clavien4 y el Índice Integral de Complicaciones (CCI, por sus siglas en inglés).5

Se definió mortalidad operatoria a la que se produjo en los primeros 30 días después de la cirugía o durante la estancia en el hospital.

Se consignaron los días de internación.

Resultados alejados

Después del alta quirúrgica, los pacientes fueron evaluados cada 6 meses mediante un examen clínico, ecográfico y de laboratorio.

Se incluyeron los pacientes que tuvieron un seguimiento de al menos dos años.

La evaluación del DA consistió en determinar mediante un interrogatorio la intensidad del dolor en el preoperatorio y su desaparición/ausencia o la reaparición luego de la intervención quirúrgica. Para ello, se incluyó una escala numérica de evaluación del dolor con rango de 0 a 10, donde el 0 es ausencia de dolor, del 1 al 3 dolor leve, del 4 al 6 moderado y del 7 al 10 severo.

Se evaluó el desarrollo o empeoramiento de la DBT, definida como la necesidad de aumentar la dosis de hipoglucemiantes orales o de insulina para mantener la glucemia dentro de parámetros normales. Se evaluó también el desarrollo de esteatorrea. Se consideró esteatorrea a los pacientes con test de elastasa fecal con valores inferiores a 200 microgramos/gr y/o a la presencia de deposiciones malolientes, pastosas, brillantes, de color masilla, difícil de eliminar del inodoro.

Análisis estadístico

Para el análisis estadístico se utilizó el software SPSS.

Las variables cuantitativas se analizaron con el test T de Student. Las variables cualitativas se analizaron con el Chi Cuadrado, con corrección de Yates cuando el número fue inferior a 30.

Resultados

En el período comprendido entre junio de 1995 y junio de 2019 se realizaron 59 operaciones de Frey, que representan el 50% de las 118 cirugías realizadas para el tratamiento de la pancreatitis crónica en ese mismo período de tiempo por el mismo equipo quirúrgico. En la Tabla 1 se detallan los datos epidemiológicos.

Figura 3. Imagen intraoperatoria de la cavidad única terminada, con la resección ojival en saca bocado a nivel de la cabeza en continuidad con el conducto de Wirsung destechado del cuerpo y cola. Tabla 1. Datos epidemiológicos de los 59 pacientes operados

497
Acta Gastroenterol Latinoam 2022;52(4):494-501
La operación de Frey en el tratamiento quirúrgico de la pancreatitis crónica Hugo Zandalazini y col.
Edad (años)(rango) 38,75
Sexo -Mujer 8 -Hombre 51 Etiología -Alcohol 54 -Idiopática 5 Diabetes preoperatoria 4 Esteatorrea preoperatoria 6 ASA score I 27 II 30 III 2
n
(32-57)

operación de Frey en el tratamiento quirúrgico de la pancreatitis crónica Hugo

La OF fue realizada en 8 mujeres y en 51 hombres. La edad promedio fue de 38,75 años, con extremos de 32 y 57 años. En 54 pacientes la etiología fue alcohólica y en los 5 restantes fue idiopática. De los 59 pacientes, 4 eran diabéticos y 8 tenían esteatorrea.

Treinta y ocho pacientes tuvieron el conducto del Wirsung con un diámetro entre 6 y 9 mm y los restantes 21 un conducto mayor de 9 mm.

La totalidad de los enfermos recibió tratamiento inicial con analgésicos no opioides. 10 pacientes lo recibieron durante un período menor de 6 meses y los 49 restantes durante más de 6 meses. Cinco pacientes requirieron opioides por un lapso menor a 6 meses, por falta de respuesta al tratamiento con analgésicos comunes. Ningún paciente de la serie recibió tratamiento endoscópico. La totalidad de los enfermos fue operada dentro de los tres años (36 meses) desde el inicio del dolor, siendo el promedio de la serie de 22,5 meses, con extremos de 14 y 35 meses (Tabla 2).

Tabla 2. Parámetros preoperatorios de los 59 pacientes

Diámetro del conducto pancreático principal

- entre 6 y 9 mm 38

- mayor de 9 mm 21

Tratamientos previos -Analgésicos

. no Opiáceos (tiempo de uso) -menos de 6 meses 10 -más de 6 meses 49

. Opiáceos (tiempo de uso) -menos de 6 meses 5 -más de 6 meses 0 -Endoscópico 0

Tiempo desde inicio de dolor hasta cirugía (meses) 22,5 (14-35)

El tiempo operatorio promedio de todo el grupo fue de 175 min, con extremos de 160 y 190 min. Ningún enfermo requirió transfusiones.

Complicaciones post operatorias

De los 59 enfermos operados, 5 pacientes presentaron complicaciones (8,4%) y uno de ellos desarrolló dos complicaciones. La totalidad de las complicaciones correspondieron a los grados I y II de la clasificación de Dindo-Clavien. El CCI promedio de las complicaciones fue de 11,48 (Tabla 3 y Tabla 4).

Acta Gastroenterol Latinoam 2022;52(4):494-501

Tabla 3. Parámetros intraoperatorios y de la internación de los 59 pacientes de la serie

Tiempo operatorio (minutos) 175 (160-190) Pacientes transfundidos 0 Numero de complicaciones 6 - Infección de herida 3 - Fístula pancreática (sin repercusión clínica) 2 - Neumonía 1

CCI de los pacientes complicados (X) 11,48 Mortalidad operatoria 0 Días de internación 5,8 (5-8)

Tabla 4. Complicaciones post operatorias en 5 pacientes

Clavien N Tipo de complicación Tratamiento I 5 Infección de herida (3) Médico Fístula pancreática sin repercusión clínica (2) II 1 Neumonía Antibiótico IIIa IVa V

El promedio de días de internación fue de 5,8 días, con un promedio de 1,1 días de internación en unidad de terapia intensiva.

No hubo muertos en el post operatorio.

Seguimiento post operatorio

El tiempo promedio de seguimiento para el total de enfermos fue de 6,5 años (rango 1,6 - 15 años). Seis enfermos no cumplieron con el mínimo de dos años de seguimiento, por lo que se los excluyó para el análisis de la efectividad de la operación. No hubo fallecidos entre los pacientes en seguimiento hasta la fecha.

De los 53 pacientes que completaron los dos años de seguimiento, 48 refirieron la desaparición del dolor (90,5%). Los cinco restantes, luego de un período asintomático, manifestaron la recidiva del dolor. El DA fue leve en tres de estos pacientes, moderado en uno y en el otro severo. Salvo este último enfermo que requirió de una pancreatectomía total para aliviar el dolor, los restantes cuatro fueron tratados con analgésicos comunes.

Durante el seguimiento, tres enfermos empeoraron la DBT y cinco la desarrollaron. Ocho pacientes presentaron esteatorrea (Tabla 5).

498
La Zandalazini y col.

Tabla 5. Seguimiento alejado en 53 pacientes

Seguimiento promedio (años) 6,5 (1,6 - 15)

Seguimiento (núm de pacientes)

- Menor de dos años 6

- Dos o más años 53

Dolor post operatorio

- Desaparición o ausencia 48

- Recidiva 5

Leve 3 Moderado 1 Severo 1

Diabetes

- Empeoramiento de la DBT 3

- Desarrollo de DBT 5

- Total de enfermos con DBT en la serie 9

Esteatorrea

- Desarrollo de esteatorrea 8

- Total de enfermos con esteatorrea en la serie 14

Discusión

El DA que no responde al tratamiento médico es la indicación más frecuente de tratamiento quirúrgico en la pancreatitis crónica (6,7). La OF es un procedimiento eficaz para tratar el DA refractario al tratamiento conservador. En nuestra serie, fueron operados 59 pacientes con DA por PC utilizando la OF. Todos fueron operados en forma temprana, antes de los tres años de iniciado el DA. En ningún caso se utilizó el tratamiento endoscópico. La morbilidad fue del 10,1%, con una mortalidad de 0. Las complicaciones fueron todas categorizadas como I y II de la clasificación de Dindo-Clavien. De los 53 pacientes que completaron los dos años de seguimiento, 48 refirieron desaparición del dolor. Durante el seguimiento, tres enfermos empeoraron la DBT y nueve la desarrollaron. En cuanto a la esteatorrea, doce pacientes la desarrollaron.

En la actualidad, continúan siendo desconocidos tanto la historia natural de la PC como el mecanismo de producción del DA.6-8 Esta falta de certezas trajo aparejada una falta de acuerdo para determinar cuál es la mejor estrategia terapéutica de la enfermedad, la conveniencia del uso de analgésicos, la cirugía más efectiva y el momento de su realización, entre otras controversias.

Basados en la teoría del agotamiento, en el cual la glándula pancreática sufre a mediano plazo, con cada uno de los repetidos procesos inflamatorios, una destrucción progresiva hasta llegar a la atrofia, y con ella la desapari-

ción del dolor,8 se aconsejaba tratar el dolor con analgésicos y evitar una conducta agresiva. Sin embargo, entre el 60% y el 70 % de los enfermos continúa experimentando dolor severo más allá de los cinco años de iniciado el síntoma, a pesar de los tratamientos conservadores, y requerirá indefectiblemente algún tratamiento invasivo para intentar un alivio.

La endoscopía y la cirugía son las opciones disponibles en la actualidad para el tratamiento del dolor refractario al tratamiento conservador.

La endoscopía, por ser un procedimiento de baja morbilidad, es en muchos centros la primera indicación luego del fracaso del tratamiento conservador. El tratamiento del DA en la PC exige la realización de numerosas sesiones endoscópicas para solucionar las condiciones involucradas en la génesis del dolor, tales como dilatar estenosis ductales, colocar y recambiar stents y romper cálculos con ondas de choque.9, 10, 11 La suma de estos procedimientos provoca un aumento del riesgo de complicaciones, que puede ser incluso mayor al de una cirugía y, lo que es peor aún, puede inducir la fatiga del paciente, con posibilidades de abandono del tratamiento. Se realizó una revisión sistemática para analizar la efectividad en forma comparativa entre la endoscopía y la cirugía para el tratamiento del dolor, utilizando una base de datos Cochrane, en el año 2015.12 Se demostró que la cirugía es superior a la endoscopía para calmar el dolor y, además, se sugiere que la cirugía realizada en etapa temprana promete mejores resultados en el control del dolor, preservando la función pancreática. A pesar de estos resultados, numerosos pacientes siguen siendo tratados endoscópicamente, en especial en centros europeos, en donde la puerta de entrada de los enfermos con PC sigue siendo la del gastroenterólogo.1

El mejor momento para indicar la cirugía para tratar el DA en la PC fue siempre tema de debate. La discusión se planteaba en torno de realizarla luego de la administración de analgésicos o luego de múltiples procedimientos endoscópicos.2

La excesiva demora en la indicación quirúrgica para el tratamiento del dolor expone al paciente a prolongadas terapias con analgésicos, que se inician con analgésicos comunes hasta llegar, en la gran mayoría de los casos, al uso de opioides para intentar controlar el dolor. Está demostrado que estos fármacos generan dependencia y promueven una alteración en la percepción del dolor a nivel del sistema nervioso central, provocando un estado de hipersensibilidad que hace muy complicado su alivio posterior con cualquier terapéutica.8

En la última década, se han publicado numerosos artículos que recomiendan realizar tempranamente la cirugía para el control del DA.13-15 Los resultados de estos traba-

499 Acta Gastroenterol
Latinoam 2022;52(4):494-501
La operación de Frey en el tratamiento quirúrgico de la pancreatitis crónica Hugo Zandalazini y
col.

operación de Frey en el tratamiento quirúrgico de la pancreatitis crónica

jos concluyen que la cirugía temprana presenta mayores beneficios que cuando se la indica tardíamente o como última opción. Un trabajo prospectivo y aleatorizado comparó la cirugía temprana versus el tratamiento en etapas progresivas en donde la cirugía era la última opción. Los resultados preliminares de este estudio fueron publicados en el año 2020 en el Journal American Medical Association (JAMA) y concluyen que la cirugía temprana presenta un mayor alivio del dolor. A su vez, sugieren que el uso previo de opioides y la realización de múltiples procedimientos endoscópicos se asocian con menor alivio del dolor en comparación con la cirugía temprana.16

En nuestra serie, la totalidad de los enfermos recibió tratamiento inicial con analgésicos no opioides como puente para la realización de la cirugía, solo cinco de estos pacientes requirieron opioides por un lapso menor a 6 meses por falta de respuesta al tratamiento inicial con analgésicos comunes. Ningún paciente de la serie recibió tratamiento endoscópico. Los 59 pacientes fueron operados dentro de los tres años desde el inicio del DA. Tal vez la efectividad del procedimiento en los pacientes de nuestra serie esté vinculada con su indicación precoz, el bajo porcentaje de pacientes con consumo prolongado de opioides y la ausencia de procedimientos endoscópicos previos.

La etiopatogenia del DA en los pacientes con PC es incierta; sin embargo, se ha postulado un origen multifactorial y podría responder a un aumento de presión intracanalicular, intraparenquimatosa o a la lesión de las terminales nerviosas en el parénquima pancreático, producto de citoquinas y mediadores inflamatorios. La ausencia de una etiopatogenia única explica los diferentes tipos de procedimientos quirúrgicos ensayados en los pacientes con pancreatitis crónica. En pacientes con conducto pancreático dilatado, se ha sugerido que la operación indicada es aquella que descomprima el sistema ductal para disminuir la presión intracanalicular y, de esa forma, aliviar el dolor. En los pacientes con una masa inflamatoria en la cabeza del páncreas sin dilatación ductal, se presume que el mecanismo del dolor es por irritación o lesión de las terminales nerviosas; en este caso, la resección mediante una DPC es la cirugía recomendada.

Sin embargo, la gran mayoría de los enfermos presenta una combinación de dilatación ductal y masa inflamatoria a nivel de la cabeza del páncreas. En estos casos, el origen del DA podría obedecer a la combinación de hipertensión ductal y lesión perineural. El procedimiento recomendado es aquel que permita la descompresión del sistema ductal y la resección de tejido pancreático a nivel de la cabeza. La operación que reúne estas características es la OF.

Elegir la mejor técnica quirúrgica para el tratamiento

Gastroenterol Latinoam 2022;52(4):494-501

del dolor de la PC es un verdadero desafío. Un requisito indispensable es que el procedimiento elegido sea seguro, dado que se trata de un procedimiento paliativo, ya que esta enfermedad no tiene cura.

Con el propósito de definir la mejor cirugía para el tratamiento del dolor se han ensayado y publicado numerosas experiencias comparativas entre las diferentes técnicas utilizadas.17, 18 Bachmann Kai y col.19 publicaron un estudio prospectivo aleatorizado que compara los resultados inmediatos y alejados de la DPC respecto de la OF. Los autores concluyeron que ambos procedimientos son efectivos en el control del dolor y que la OF presenta menor morbilidad posoperatoria, con ventajas a largo plazo, como la conservación del apetito, menor pérdida de peso y mejor estado físico con una mayor sobrevida.

Otra publicación compara la OF con la cirugía de Beger,20 procedimientos con características similares en los que se reseca tejido pancreático a nivel de la cabeza del páncreas y se preserva el duodeno. Los resultados observados luego de un seguimiento de 16 años no muestran diferencias en la morbilidad, el control del dolor, la calidad de vida, la función endócrina o exocrina y la mortalidad alejada. Sin embargo, la dificultad técnica de la cirugía de Beger es mayor, ya que en este procedimiento se secciona el páncreas a nivel de los vasos mesentéricos. Ello requiere acceder y labrar un túnel entre la cara posterior del cuello del páncreas y la vena porta, maniobra que suele ser difícil en estos pacientes por el proceso inflamatorio y la fibrosis existente. Además, esta cirugía requiere la realización de dos anastomosis.

En nuestra serie, la OF fue efectiva para aliviar el dolor en 48 de los 53 (90,5%) pacientes que completaron los dos años de seguimiento, con un bajo porcentaje de complicaciones (10,1 %), todas ellas leves, categorizadas como grados I y II de la clasificación de Dindo-Clavien. Al igual que en nuestra experiencia, se han publicado varios artículos que utilizan la OF para el control del dolor con similares resultados y sugieren que la indicación temprana de esta cirugía presenta mayores beneficios que cuando se la indica tardíamente.16, 21, 22

Conclusión

La OF es una técnica quirúrgica segura y efectiva para el manejo del dolor en la PC. La indicación temprana de la cirugía ha demostrado tener mayores beneficios para aliviar el dolor, ya que evita los tratamientos prolongados con opioides y los innumerables procedimientos endoscópicos.

En nuestra serie, esta cirugía no presentó mortalidad, con un reducido número de complicaciones posoperatorias.

A largo plazo, esta técnica demostró ser efectiva en el control del dolor y en la preservación de la función endócrina y exocrina del páncreas.

500
Acta
La Hugo Zandalazini y col.

La operación de Frey en el tratamiento quirúrgico de la pancreatitis crónica

Consentimiento para la publicación. Para la confección de este manuscrito, se utilizaron datos anonimizados que no han distorsionado su significado científico.

Propiedad intelectual. Los autores declaran que los datos, los gráficos y las tablas presentes en el manuscrito son originales y se realizaron en sus instituciones pertenecientes.

Financiamiento. Los autores declaran que no hubo fuentes de financiación externas.

Conflicto de interés. Los autores declaran no tener conflictos de interés en relación con este artículo.

Aviso de derechos de autor © 2022 Acta Gastroenterológica Latinoamericana. Este es un artículo de acceso abierto publicado bajo los términos de la Licencia Creative Commons Attribution (CC BY-NC-SA 4.0), la cual permite el uso, la distribución y la reproducción de forma no comercial, siempre que se cite al autor y la fuente original

Cite este artículo como: Zandalazini H, Ocampo C, Alonso Quintas J F y col. La operación de Frey en el tratamiento quirúrgico de la pancreatitis crónica. Acta Gastroenterol Latinoam. 2022; 52(4):494-501. https://doi.org/10.52787/ agl.v52i4.253

Referencias

1. Lohr M, Domínguez Muñoz E, Rosendahl J, Besselink M, Mayerle J. United European Gastroenterology evidence-based guidelines for the diagnosis and therapy of chronics pancreatitis (HaPanEU). Ueg Journal. 2017;1-47. Suplemento.

2. Stefan AW, Bouwensea Marinus A, Kempeneersd Hjalmar C, van Santvoortb MA, Boermeesterd Harry van Goor MG. Besselink Dutch Pancreatitis Study Group. Surgery in Chronic Pancreatitis: Indication, Timing and Procedures. Visceral Medicine. 2019;35:110-8.

3. Frey C, Smith J. Description and Rationale of a New Operation for Chronic Pancreatitis. Pancreas. 1987;2:701-7.

4. Dindo D, Demartinez N, Clavien PA. Classification of Surgical Complications. A new Proposal with Evaluation in a Cohort of 6336 Patients and Results of a Survey. Annals of Surgery. 2004;240(2):205-13.

5. Clavien PA, Vetter D, Staiger R, et al. The Comprehensive Complication Index (CCI). Ann Surg. 2017;265:1045-50.

6. Ammann R, Muellhaupt B, and Zurich Pancreatitis Study Group. The Natural History of Pain in Alcoholic Chronic Pancreatitis.

Hugo Zandalazini y col.

Liver, Pancreas, and Biliary Tract. 1999;116:1132-40.

7. Lankisch PG. Natural Course of Chronic Pancreatitis. Pancreatology. 2001;1:3-14.

8. Drewes A, Kempeneers M, Andersen D, Arendt-Nielsen L, Besselink M, Boermeester M, et al. Controversies on the endoscopic and surgical management of pain in patients with chronic pancreatitis: pros and cons! BMJ. 2019;68(8):1343-51.

9. Noda A. Availability of oral litholysis therapy and its combination with ESWL and endoscopic treatment in chronic pancreatitis. Gastroenterology. 2004;126:230.

10. Sauer B, Talreja JP, Ellen K, Ku J, Shami VM, Kahaleh M. Temporary placement, of covered self-expandable metal stent (CSENS) in the pancreatic duct for management of painful chronic pancreatitis: preliminary data. Gastrointestinal Endoscopy. 2008;67:AB327.

11. Seiler CM. Prospective randomizzed single-blinded trial of endoscopic stenting for chronic pancreatitis. Clinical Trials. 2009;6(5):464.

12. Ahmed A, Pahlplatz JM, Nealon WH, Van Goor H, Gooszen HG, Boermeester MA. Endoscopic or surgical intervention for painful obstructive chronic pancreatitis. 2015. Cochrane Library.

13. Usama Ahmed ALI, Nieuwenhuijs V, Van Eijck HC, Gooszen H, Van Dam R, et al. Clinical Outcome in Relation to Timing of Surgery in Chronic Pancreatitis. A Nomogram to Predict Pain Relief. Arch Surg. 2012;147:925-32.

14. Lamme B, Boermeester MA, Straatsburg IH, van Buijtenen JM, Boerma D, Offerhaus GJA, et al. Early versus late surgical drainage for obstructive pancreatitis in an experimental model. Br J Surg. 2007;94:849-54.

15. Catherine Young, Linsay Bliss, Emily Schapira, Steven Freedman, Sing Chau Ng, John Windsor, Jennifer Tseng. Sistematic Review of Early Surgery for Chronic Pancreatitis: Impacto on Pain, pancreatic Function, and Re-intervention. J Gastrointest Surg. 2014:1-7.

16. Issa Y, Kempeneers M, Bruno M, Fockens P, Werner Poley J, Ahmed U, Bollen T, et al. Effect of Early Surgery vs Endoscopy-First Approach on Pain in Patients with Chronic Pancreatitis. JAMA. 2020;323(3):337-47.

17. Kleeff J, Stob C, Mayerle J, Stecher L, Maak M, Simon P, Nitsche U, Friess H. Evidence Based Surgical Treatments for Chronic Pancreatitis. Medicine. 2016;113:489-96.

18. Skube M, Beilman G. Surgical Treatment of pain in chronic pancreatitis. Current Opinion Gastroenterology. 2018;34:1-5.

19. Bachmann K, Tomkoetter L, Kutup A, Erbes J, Vashist Y, Mann O, Bockhorn M, Izbicki J. Is the Whiple Procedure Harmful for Long term Outcome in Treatment of Chronic Pancreatitis. Ann Surg. 2013;258:815-21.

20. Bachmann K, Tmokoetter I, Erbes J, Hofmann B, Reeh M, Pérez D, Vashist Y, Bockhorn M, Izbicki J, Mann O. Beger and Frey Procedure for Treatment of Chronic Pancreatitis: Comparison of Outcomes at 16-year Follow-up. J Am Coll Surg. 2014; 219:208-16.

21. Sun Kim H, Hyung Lee J; Seong Park J, Sup Yoon D. Frey s procedure for chronic pancreatitis: a 10 year single center experience in Korea. Ann Surg Treat Res. 2019; 97(6):296-301.

22. Pessaux P, Kianmanesh R, Regimbeau JM, Sastre B, Delcenserie R, Sauvanet A. Frey Procedure in the Treatment of Chronic Pancreatitis. Short-term results. Pancreas. 2006;33(4):354-8.

Acta Gastroenterol Latinoam 2022;52(4):494-501

501

Disfagia lusoria y esófago hipercontráctil. Reporte de un caso

Hospital de Clínicas José de San Martín. Ciudad Autónoma de Buenos Aires, Argentina.

Acta Gastroenterol Latinoam 2022;52(4):502-505

Recibido: 22/10/2022 / Aceptado: 11/12/2022 / Publicado online: 21/12/2022 / https://doi.org/ 0.52787/agl.v52i4.266

Resumen

La disfagia lusoria es una patología poco frecuente que se caracteriza por disfagia secundaria causada por la compresión extrínseca del esófago por una arteria aberrante del arco aórtico. Es una anomalía embrionaria vascular que generalmente no causa síntomas, aunque puede generar disfagia debido al desarrollo de arterioesclerosis y disminución de la complacencia esofágica, aneurismas o trastornos motores. Se presenta un caso de un paciente con disfagia esofágica intermitente, compresión extrínseca esofágica por la arteria subclavia derecha aberrante y esófago hipercontráctil.

Palabras claves. Disfagia lusoria, esófago hipercontráctil, arteria subclavia derecha aberrante.

Lusory Dysphagia and Hypercontractile Esophagus. A Case Report

Summary

Dysphagia lusoria is a rare pathology characterized by dysphagia secondary to extrinsic compression of the esophagus by an aberrant artery of the aortic arch. This is a vascular embryologic abnormality that generally does not cause symptoms, although it can cause dysphagia due to the development of arteriosclerosis and decreased esophageal compliance, aneurysms, or motor disorders. Our report describes a case of a man with intermittent esophageal dysphagia, extrinsic esophageal compression by the aberrant right subclavian artery and hypercontractile esophagus.

Keywords. Dysphagia lusoria, hypercontractile esophagus, aberrant right subclavian artery.

Abreviaturas

DL: Disfagia lusoria.

VEDA: Videoendoscopía digestiva alta. Angio-TC: Angiografía por tomografía computada.

HREM: Manometría esofágica de alta resolución.

IBP: Inhibidores de la bomba de protones. POEM: Miotomía endoscópica peroral.

502 Acta Gastroenterol
♦CASO CLÍNICO
Latinoam 2022;52(4):502-505
Correspondencia: Tatiana Noemí Uehara Correo electrónico: tatianauehara@hotmail.com Tatiana Noemí Uehara · Harumi Hashimoto · Juan Manuel Montero Liria Martínez Fernanda Gutiérrez · Mauro Santana · Esteban González Ballerga · Adriana Tévez

Introducción

La disfagia lusoria es una causa poco frecuente de disfagia debido a la compresión esofágica por un vaso aberrante del arco aórtico. La arteria subclavia derecha aberrante es la anomalía congénita más común del arco aórtico. Sin embargo, la mayoría de los pacientes son asintomáticos. Generalmente esta patología se presenta en la quinta década de vida, aunque puede presentarse en la niñez.1 Los métodos diagnósticos incluyen videoendocopía digestiva alta, angiografía por tomografía computada (angio-TC) o angiografía por resonancia magnética. Se sugiere realizar un esofagograma baritado y una manometría esofágica de alta resolución para evaluar el impacto funcional de la compresión vascular esofágica y la coexistencia de un trastorno motor esofágico. La estrategia de manejo no es clara, pero parecería que los pacientes con síntomas leves a moderados se beneficiarían con cambios en el estilo de vida, modificaciones en la dieta y, posiblemente, con tratamiento médico. En aquellos pacientes con síntomas severos debe considerarse la cirugía.2 Se presenta el caso de un paciente con disfagia esofágica intermitente, compresión extrínseca esofágica por la arteria subclavia derecha aberrante y esófago hipercontráctil.

Caso clínico

Varón de 79 años de edad, con antecedentes de diabetes tipo 2 e hipertensión arterial que fue derivado al sector de Neurogastroenterología con diagnóstico de disfagia lusoria. Refería disfagia esofágica intermitente a sólidos y líquidos de 4 meses de evolución asociada a dolor torácico irradiado al dorso y regurgitación, sin mejoría con IBP. El examen físico fue normal. Concurrió a la consulta con una VEDA donde se constató una dilatación de la luz esofágica y una pequeña hernia hiatal por deslizamiento, y con una angio-TC de tórax donde se informó una arteria subclavia derecha aberrante con compresión de la cara posterior del esófago y dilatación del mismo (Figura 1).

Dado que el paciente presentaba síntomas intermitentes con características de disfagia funcional se realizaron estudios dinámicos para correlacionar los hallazgos en las imágenes con la disfagia. El esofagograma baritado evidenció una impronta en el tercio proximal del esófago con adecuado vaciamiento del contraste (Figura 2). Luego se realizó una HREM (Laborie/Diversatek system) con 8 horas de ayuno mediante un catéter de estado sólido con 36 sensores y sin medicación que pudiera alterar la motilidad esofágica. Se realizaron 10 degluciones con 5 ml de solución fisiológica en posición semiacostada y 5 en sedestación. El cuerpo esofágico presentó un vigor contrác-

Figura 1. A. En el corte sagital de la angiografía por TC tórax se observa una arteria subclavia derecha (flecha) que comprime e impronta la cara posterior del esófago. B. En el corte axial de la Angio-TC se evidencia la arteria subclavia derecha aberrante (flecha) que impronta y comprime la cara posterior del esófago

A

B

Figura 2. El esofagograma baritado muestra una compresión externa en el tercio superior del esófago

503 Acta Gastroenterol Latinoam 2022;52(4):502-505
Disfagia lusoria y esófago hipercontráctil Tatiana Noemi Uehara y
col.

til aumentado, con 30% de contractilidad distal integrada > 8000 mmHg/s/cm, con una mediana de presión de relajación integrada de 21 mmHg (normal en Diversatek < 22 mmHg). Se diagnosticó un esófago hipercontráctil de pico simple (Figura 3). Como complemento, se realizó la prueba de deglución rápida múltiple (5 degluciones de 2 ml de agua con menos de 3 segundos de diferencia) que evidenció una adecuada inhibición deglutoria y una buena reserva peristáltica. El desafío rápido con los tragos líquidos (ingesta de 200 ml de agua en el menor tiempo posible) no pudo completarse por la presencia de dolor torácico. Para la evaluación del reflujo gastroesofágico se realizó una pH impedanciometría off IBP que no mostró exposición ácida patológica, episodios de reflujo patológicos ni asociación sintomática. Teniendo en cuenta la presentación intermitente de la disfagia con adecuado vaciamiento del contraste en el esofagograma baritado y la presencia de esófago hipercontráctil en la HREM, se interpretó que los síntomas estaban vinculados al trastorno motor. Se realizó tratamiento con inyección de toxina botulínica (100 U) en el cuerpo esofágico y disminuyeron los síntomas.

Figura 3. En la manometría de alta resolución se constata un esófago hipercontráctil de pico simple

de arterioesclerosis y disminución de la complacencia esofágica, aneurismas o trastornos motores.3 Anteriormente, la angiografía era la prueba de elección para confirmar el diagnóstico de las anomalías vasculares. Actualmente, la angio- TC o la angiografía por resonancia magnética han suplantado a la angiografía convencional, ya que ambas modalidades son capaces de aclarar la anatomía del arco aórtico y su relación con los órganos adyacentes. Además, son útiles para diagnosticar otras patologías intratorácicas que pudieran estar presentes.5

La manometría esofágica frecuentemente revela hallazgos no específicos. Algunos reportan una zona de alta presión en el sito de la impronta esofágica por el vaso aberrante, pulsátil y sincrónica con el pulso. Adicionalmente, presiones peristálticas elevadas en el esófago proximal por encima de la compresión.3,6,7

Se han descripto trastornos motores esofágicos asociados a la compresión vascular esofágica como la obstrucción del tracto de salida de la unión esofagogástrica y el esófago hipercontráctil. Se propone que la compresión esofágica puede generar un disbalance de neurotransmisores a nivel del plexo mientérico y generar una hipercontractilidad por mayor actividad colinérgica.5

Se sugiere que la compresión mecánica esofágica por una arteria aberrante puede no ser el mecanismo fisiopatológico predominante cuando se sospecha de una DL, ya que en la mayoría de los casos no genera una constricción esofágica significativa. Teniendo en consideración que la dismotilidad esofágica puede estar presente en la DL se sugiere realizar una HREM cuando se sospecha de esa patología.5 Debido a que nuestro paciente presentaba síntomas que sugerían disfagia funcional, complementamos el estudio diagnóstico con una HREM. El diagnóstico fue esófago hipercontráctil.

Discusión

La arteria subclavia derecha aberrante es una variante embrionaria del arco aórtico que tiene una prevalencia del 0,4 al 0,7% en la población general. Generalmente discurre en la cara posterior del esófago y puede generar disfagia en el 30-40% de los pacientes.3,4 Algunos autores plantean que la disfagia puede ocurrir debido al desarrollo

El tratamiento de la DL depende de la gravedad de los síntomas. A los pacientes con síntomas leves a moderados se les indican modificaciones del estilo de vida y modificaciones en la dieta, como masticación adecuada, evitar los alimentos que exacerban los síntomas, comer más lento, dar bocados más pequeños y/o beber líquidos a sorbos.3 El tratamiento con IBP y proquinéticos podría mejorar los síntomas. Un estudio de una serie de casos, evaluó dicho tratamiento farmacológico y evidenció mejoría en 3 de 6 pacientes con una media de seguimiento de 6,3 años.2 En nuestro caso, realizamos una pH impedanciometría que no evidenció exposición ácida patológica, episodios de reflujo patológico ni asociación sintomática, motivo por el cual desestimamos que la enfermedad por reflujo desempeñe un papel en la presencia de síntomas.

Ante la presencia de aneurismas, tronco bicarotideo,

504 Acta Gastroenterol Latinoam 2022;52(4):502-505
Disfagia lusoria y esófago hipercontráctil Tatiana Noemi Uehara y col.

síntomas severos o falta de respuesta al tratamiento médico se recomienda tratamiento quirúrgico.5

El objetivo del tratamiento quirúrgico es remover el vaso aberrante y reconstruir el vaso en la posición adecuada.

La reconstrucción puede ser realizada a través de anastomosis del vaso nativo o interponiendo un injerto sintético en su lugar.5

En cuanto al tratamiento del esófago hipercontráctil que se diagnosticó en nuestro paciente, no hay consenso respecto al tratamiento.

En un metaanalisis de Whaba G y col.,6 se describe que el tratamiento médico (bloqueantes de canales de calcio, nitratos, inhibidores de la bomba de protones y antidepresivos) parecería ser inferior al endoscópico (dilatación, inyección de toxina botulínica y la miotomía endoscópica peroral). En un estudio multicéntrico de Philonenko S y col.,7 la inyección de toxina botulínica parecería obtener mejores resultados que la dilatación, aunque la tasa de recaída fue de más de 1 cada 3 pacientes en aquellos tratados con inyección de toxina botulínica y más de la mitad en los pacientes que recibieron dilatación.

Para pacientes con síntomas refractarios al tratamiento médico y que tienen dolor torácico y disfagia se aconseja la POEM, ya que se observaron buenos resultados. Sin embargo, aún faltan datos respecto a los resultados a largo plazo. El tratamiento quirúrgico (miotomía de Heller) se considera en casos refractarios al tratamiento médico, con sus riesgos y beneficios.8

En nuestro caso concluimos en que la compresión mecánica esofágica no fue el mecanismo fisiopatológico predominante porque en el esofagograma baritado se evidenció un adecuado pasaje del contraste; por lo tanto, realizamos el tratamiento de la patología coexistente -el esófago hipercontráctil- con buenos resultados.

Financiamiento. Los autores declaran que no hubo fuentes de financiación externas.

Conflicto de interés. Los autores declaran no tener conflictos de interés relacionados con este artículo.

Aviso de derechos de autor © 2022 Acta Gastroenterológica Latinoamericana. Este es un artículo de acceso abierto publicado bajo los términos de la Licencia Creative Commons Attribution (CC BY-NC-SA 4.0), la cual permite el uso, la distribución y la reproducción de forma no comercial, siempre que se cite al autor y la fuente original.

Cite este artículo como: Uehara T N, Hashimoto H, Montero J M y col. Disfagia lusoria y esófago hipercontráctil. Reporte de un caso. Acta Gastroenterol Latinoam. 2022;52(4):502505 https://doi.org/ 0.52787/agl.v52i4.266

Referencias

1. Wellington J, Kim J, Castell DO, et al. Dysphagia lusoria: utility of high-resolution impedance manometry to identify true disease. Neurogastroenterol Motil 2021;33:e14176.

2. Levitt B, Richter JE. Dysphagia lusoria: a comprehensive review. Dis Esophagus 2007;20:455-460.

3. Bennett AL, Cock C, Heddle R, et al. Dysphagia lusoria: a late onset presentation. World J Gastroenterol 2013;19:2433-2436.

4. Janssen M, Baggen MG, Veen HF, et al. Dysphagia lusoria: clinical aspects, manometric findings, diagnosis, and therapy. Am J Gastroenterol 2000;95:1411-1416.

5. Coles M, Sharma A. Dysphagia Lusoria: Is the Dysmotility Connection Illusory or Real? Dig Dis Sci 2020;65:942-945.

Consentimiento para la publicación. Se obtuvo el consentimiento informado por escrito del paciente o sus padres, tutores o familiares, para la publicación de los datos o imágenes clínicas en beneficio de la ciencia. La copia del formulario de consentimiento se encuentra disponible para los editores de esta revista.

6. Wahba G, Bouin M. Jackhammer esophagus: A meta-analysis of patient demographics, disease presentation, high-resolution manometry data, and treatment outcomes. Neurogastroenterol Motil 2020;32:e13870.

7. Philonenko S, Roman S, Zerbib F, et al. Jackhammer esophagus: Clinical presentation, manometric diagnosis, and therapeutic results from a multicenter French cohort. Neurogastroenterol Motil 2020;32:e13918.

Propiedad intelectual. Los autores declaran que los datos y las figuras presentes en el manuscrito son originales y se realizaron en las instituciones a las que pertenecen.

8. Prieto Ortiz, Gómez Venegas. Case Studies and Review of Jackhammer Esophagus. Colomb J Anesthesiol, http://www.scielo. org.co/scielo.php?pid=S0120-99572016000300009&script=sci_ arttext&tlng=en

Acta Gastroenterol Latinoam 2022;52(4):502-505

505
Disfagia lusoria y esófago hipercontráctil Tatiana Noemi Uehara y col.

Histoplasmosis hepática y peritoneal simulando otra patología

Lourdes Mollard1 · Magalí Chahdi Beltrame1,2 · Valeria Luján Salutto2 José Gabriel Cervantes1 María Luján Del Bueno1 · Emilio Gastón Quiñonez1 · Marcelo Enrique Lenz Virreira1 · Silvia Rausch2 · Francisco Juan Mattera1

1 Unidad de Cirugía Hepatobiliar Compleja y Trasplante Hepático, Hospital El Cruce. Prov. Buenos Aires, Argentina.

2 Instituto de Investigaciones Médicas Dr. Alfredo Lanari. Ciudad Autónoma de Buenos Aires, Argentina. Ciudad Autónoma de Buenos Aires, Argentina.

Acta Gastroenterol Latinoam 2022;52(4):506-511

Recibido: 28/09/2022 / Aceptado: 08/12/2022 / Publicado online: 21/12/2022 / https://doi.org/10.52787/agl.v52i4.259

Resumen

La histoplasmosis es la micosis sistémica endémica más frecuente en Argentina. La mayoría de los casos son asintomáticos o presentan manifestaciones respiratorias leves, que resuelven espontáneamente; sin embargo, puede cursar con formas clínicas graves cuando la inmunidad se halla comprometida. Si bien el compromiso hepático en la infección diseminada es bien conocido, la histoplasmosis hepática focal es extremadamente rara. Presentamos el caso de una paciente con hepatitis granulomatosa focal y compromiso peritoneal por Histoplasma capsulatum simulando una neoplasia primaria de hígado, que fue intervenida quirúrgicamente.

Palabras claves. Histoplasmosis, hepatitis granulomatosa, hepatectomía.

Hepatic and Peritoneal Histoplasmosis Simulating Another Pathology

Summary

Histoplasmosis is the most frequent endemic systemic mycosis in Argentina. Most cases are asymptomatic or present mild respiratory manifestations, which resolve spontaneously; however, occasionally they present severe clinical forms when immunity is compromised. Although liver involvement in disseminated infection is well known, focal hepatic histoplasmosis is extremely rare. We present the case of a patient with focal granulomatous hepatitis and peritoneal involvement due to Histoplasma capsulatum simulating a primary liver neoplasm, who underwent surgery.

Keywords. Histoplasmosis, granulomatous hepatitis, hepatectomy.

Abreviaturas

H. capsulatum: Histoplasma capsulatum. AChRA: Anticuerpo antirreceptor de acetilcolina. vs.: Versus.

VIH: Virus de la inmunodeficiencia humana. PAS: Ácido periódico de Schiff.

IgG: Inmunoglobulina G.

Introducción

Correspondencia: Lourdes Mollard

Correo electrónico: lourdes.mollard@gmail.com

La infección por Histoplasma capsulatum (H. capsula-

506 Acta
♦CASO CLÍNICO
Gastroenterol Latinoam 2022;52(4):506-511

tum) es una micosis sistémica endémica ampliamente distribuida en América Latina, y la más frecuente en nuestro país.1 Las áreas endémicas son zonas de clima templado, subtropical o tropical húmedo, próximas a cursos de agua dulce. Su distribución afecta principalmente La Pampa húmeda y la provincia de Buenos Aires. La mayoría de las infecciones que origina son asintomáticas o presentan manifestaciones respiratorias leves, que se resuelven espontáneamente. Las formas clínicas graves pueden producirse por inhalación masiva de esporas en la infección primaria, o por fallas en los mecanismos locales o generales de la inmunidad.2 Si bien el compromiso hepático en la infección diseminada es bien conocido, la histoplasmosis hepática focal es extremadamente rara, y la información disponible corresponde a reportes de casos limitados. Presentamos el cuadro clínico de una paciente con hepatitis granulomatosa focal y compromiso peritoneal por H. capsulatum simulando una neoplasia primaria de hígado.

Caso clínico

Paciente de sexo femenino de 57 años, oriunda de la provincia de Buenos Aires; con antecedentes patológicos de miastenia gravis generalizada con anticuerpo antirreceptor de acetilcolina (AChRA) positivo, no timomatosa, de inicio tardío y 19 años de evolución; correspondiente a la clase máxima V de acuerdo a la clasificación de la Myasthenia Gravis Foundation of America, 3 con patrón oculobulbar predominante. La paciente permaneció 7 años en estado de manifestaciones mínimas, en tratamiento con azatioprina, meprednisona y piridostigmina. A partir de 2015 comenzó a presentar parámetros inflamatorios en los controles de laboratorio, exacerbaciones y crisis miasténicas, con múltiples internaciones. En 2020 se suspende la azatioprina por la presencia de un proceso abdominopélvico inflamatorio infeccioso vs. neoplásico. Como antecedente quirúrgico, se realizó una anexohisterectomía y resección de íleon terminal por un absceso ovárico en 2017.

Es derivada a nuestro centro con diagnóstico de lesión focal hepática de características inespecíficas en el segmento lateral izquierdo, de 4 años de evolución, que en el último estudio de imagen presentaba progresión de tamaño y ocasionaba dilatación segmentaria de la vía biliar intrahepática izquierda. En su hospital de origen se realizó una punción biopsia con aguja fina de la lesión; los resultados resultaron inconcluyentes en dos oportunidades. Presentó episodios de fiebre, ictericia y dolor abdominal asociados a alteraciones del hepatograma, que fueron interpretados como debidos a una colangitis segmentaria. Al momento de la consulta en nuestro nosocomio se encontraba asintomática, con piel y mucosas normocoloreadas, negando registros febriles o síntomas canaliculares.

Los resultados de laboratorio arrojan como datos de relevancia una anemia crónica con hematocrito de 28%, hemoglobina de 9,2 g/dl, glóbulos blancos de 17000/mm3 con un 85% de neutrófilos, y plaquetas de 786000/mm3 Un tiempo de protrombina, creatinina, transaminasas y bilirrubina normales, con elevación de la fosfatasa alcalina a 362 mg/dl (valor normal < 150 mg/dl), y de Ca 19.9 a 129 U/ml (valor normal < 37 U/ml), para un resultado normal en los estudios previos. Presenta serologías negativas para VIH y virus hepatotropos.

En la resonancia magnética nuclear se observa una imagen difusa de señal hipointensa en T1, levemente hiperintensa en T2, que restringe en difusión y presenta realce progresivo, comprometiendo el lóbulo hepático izquierdo, que condiciona la dilatación de las ramas segmentarias de la vía biliar intrahepática, considerándose el diagnóstico de colangiocarcionoma intrahepático (Figura 1A-B).

Figura 1A. Resonancia magnética nuclear en la que se aprecia el defecto de perfusión y la dilatación de la vía biliar intrahepática izquierda A B

Figura 1B. Restricción de la lesión en secuencia de difusión

507
Acta Gastroenterol Latinoam 2022;52(4):506-511
Histoplasmosis hepática y peritoneal simulando otra patología Lourdes Mollard y col.

Por tomografía computada con contraste endovenoso se observa realce tardío de la misma, asociado a trastornos de perfusión perilesionales y dilatación segmentaria de la vía biliar; así como imágenes hipodensas ovaladas, la de mayor tamaño de 15 x 11 mm (Figura 1C). A nivel torácico, presenta una masa en el lóbulo inferior derecho de 22,7 mm de diámetro, que contacta con la pleura y se continúa con tractos fibrosos secuelares (Figura 1D). A su vez, se observa una imagen con densidad de partes blandas a nivel de los planos grasos presacros en el área parasagital izquierda, en íntimo contacto con los vasos ilíacos, a la que se asocia dilatación del sistema uroexcretor homolateral.

El caso de la paciente es discutido en un ateneo multidisciplinario. Si bien el prolongado tiempo de evolución del cuadro y la elevación de los reactantes de fase aguda son compatibles con una patología inflamatoria benigna, el aumento de tamaño de la lesión hepática torna imperativo descartar la etiología neoplásica; por lo que se decide realizar una intervención quirúrgica. La exploración

Figura 1C. Tomografía computada en la que se observa la lesión nodular delimitada

revela la presencia de un hígado izquierdo atrófico con cambio de coloración secundario a la infiltración vascular (Figura 2A). A su vez, se observan múltiples nódulos de aspecto granulomatoso en peritoneo, adheridos a diafragma, epiplón menor y epiplón mayor (Figura 2B). Estos nódulos son enviados a anatomía patológica por congelación, y el resultado es negativo para células neoplásicas. A nivel pélvico se objetivan adherencias y fibrosis relacionadas con la intervención quirúrgica previa. Descartada la presencia de carcinomatosis, se decide proseguir con la cirugía, realizando una hepatectomía izquierda y resección del lóbulo caudado.

A

Figura 2B. Nódulo granulomatoso con centro caseoso

Figura 2A. Se observa atrofia del lóbulo hepático izquierdo y trastorno de perfusión B

508 Acta Gastroenterol Latinoam 2022;52(4):506-511
Histoplasmosis hepática y peritoneal simulando otra patología Lourdes Mollard y col. C
D
Figura 1D. Nódulo pulmonar en lóbulo inferior derecho

En el postoperatorio la paciente evoluciona favorablemente, egresando de la internación al 12° día. Concurre a controles ambulatorios con normalidad. En el estudio diferido de la anatomía patológica se informa la presencia de tejido hepático con grados variables de fibrosis anárquica (Figura 3A) granulomas pobremente conformados, compuestos por abundantes macrófagos, linfocitos, plasmocitos, células epitelioides y ocasionales células gigantes multinucleadas. Los macrófagos contienen en sus citoplasmas elementos levaduriformes que se tiñen con PAS, Grocott y débilmente con Giemsa (Figura 3B). Hallazgos similares se observan en la biopsia de tejido peritoneal, siendo compatibles con el diagnóstico de histoplasmosis hepática y peritoneal. En consenso con Infectología se decide iniciar un tratamiento farmacológico prolongado con itraconazol 200 mg cada 12 horas. Actualmente, la paciente se encuentra asintomática y continúa en seguimiento interdisciplinario, realizando controles periódicos.

Figura 3. Biopsia hepática con tricrómico de Masson, se observan extensas áreas de coloración azulada que corresponden a fibras colágenas

A

Figura 3. Biopsia hepática con tinciones de Giemsa, PAS y Grocott donde se aprecian macrófagos con múltiples elementos levaduriformes

B

Discusión

En 1905, Samuel Taylor Darling identificó por casualidad un microorganismo parecido a un protozoario en una muestra de autopsia mientras intentaba comprender la malaria, enfermedad que prevalecía durante la construcción del Canal de Panamá. Llamó a este microorganismo Histoplasma capsulatum porque invadía el citoplasma (“plasma”) de las células similares a histiocitos (“Histo”) y tenía un halo refractivo que simulaba una cápsula (“capsulatum”), un nombre inapropiado.4

H. capsulatum es un hongo dimórfico, es decir, que puede presentar un estado micelial o levaduriforme de acuerdo a la etapa de su desarrollo. Los micelios se encuentran en la tierra, proliferando con facilidad en las deyecciones de aves. Allí, la construcción o excavación de los suelos genera aerosolización de las esporas, que constituyen la forma infectiva. Por otro lado, en los tejidos animales parasitados se encuentra en forma de levadura.

Luego de la inhalación de esporas, H. capsulatum es fagocitado por los macrófagos tisulares. Puede proliferar en su interior, infiltrar ganglios linfáticos regionales o diseminarse por vía linfática o hematógena a los órganos del sistema retículo-endotelial, hasta el desarrollo de la inmunidad mediada por células. Ésta puede resultar en la eliminación completa del microorganismo o su contención a través de la formación de granulomas.5 En el caso de nuestra paciente, el impacto multifocal a nivel abdominal resulta compatible con un cuadro de diseminación sistémica; sin embargo, el mecanismo fisiopatológico por el cual no presentó síntomas de una afección respiratoria en primera instancia, pese a observarse un nódulo pulmonar, no resulta del todo claro. Es sabido que la histoplasmosis diseminada progresiva se presenta con mucha mayor frecuencia en pacientes con inmunosupresión, representando la asociación con VIH el 90% de los casos en nuestra región; seguida en frecuencia por enfermedades oncohematológicas, uso prolongado de corticoides en altas dosis, receptores de trasplantes de órganos sólidos con rechazo crónico, y enfermedades autoinmunes.2 En algunos individuos que cursan una primoinfección subclínica, puede ocurrir una reactivación cuando reciben inmunosupresión.6 Suponemos que éste podría ser el caso de nuestra paciente, debido al largo tiempo de evolución de la lesión y a sus manifestaciones clínicas esporádicas, que podrían tener como desencadenante la medicación inmunosupresora administrada a causa de la miastenia gravis.

Los pacientes con compromiso hepático se presentan con síntomas inespecíficos, como fiebre de origen desconocido, náuseas y vómitos, dolor abdominal, ictericia y alteración del hepatogama.7-9 Los hallazgos patológicos

Acta Gastroenterol Latinoam 2022;52(4):506-511

509
Histoplasmosis hepática y peritoneal simulando otra patología Lourdes Mollard y col.

más habituales incluyen hepatomegalia marcada o infiltración parcheada, siendo infrecuente la presencia de lesiones nodulares o pseudotumorales a este nivel.10 Por ende, son escasos los reportes en la literatura sobre resecciones hepáticas en ese contexto.11 En cuanto a la histoplasmosis peritoneal, se manifiesta como nódulos o masas de tamaño variable, que en la tomografía presentan densidad de partes blandas y ocasional realce con contraste endovenoso. Puede cursar con ascitis, emulando un cuadro de peritonitis secundaria, llevando con frecuencia a una exploración quirúrgica de emergencia. En esos casos, macroscópicamente resulta indistinguible de la tuberculosis diseminada peritoneal, patología con la que frecuentemente es confundida, dada su mayor incidencia.10,12-14 Otro diagnóstico diferencial a tener en cuenta es la colangiopatía por IgG4, que se relaciona con el antecedente de miastenia gravis, dado que esta última enfermedad también es mediada por anticuerpos; si bien se trata predominantemente de IgG1 e IgG3, también se han encontrado IgG2 e isotipos IgG4.15 En este caso, se realizó la marcación de la biopsia para IgG4, que resultó negativa. Además, existe una amplia variedad de patologías a descartar; desde enfermedades autoinmunes como la sarcoidosis y la cirrosis biliar primaria, hasta lesiones malignas o infecciones sistémicas como otras micosis, o brucelosis.16

La realización de serologías y detección de galactomananos en sangre y orina pueden orientar el diagnóstico, sin embargo la ausencia de un resultado positivo no descarta la infección. Por estos motivos, su interpretación requiere un alto índice de sospecha.

Conclusión

La afección peritoneal y hepática focal por Histoplasma capsulatum es una entidad sumamente infrecuente, pero que debe considerarse frente a un paciente con ictericia, fiebre y hallazgos imagenológicos inespecíficos. Esperamos que el reporte de este caso permita concientizar sobre su incidencia y aumentar el índice de sospecha en la práctica clínica.

Financiamiento. Los autores declaran que no hubo fuentes de financiación externas.

Conflicto de interés. Los autores declaran no tener conflictos de interés en relación con este artículo.

Aviso de derechos de autor © 2022 Acta Gastroenterológica Latinoamericana. Este es un artículo de acceso abierto publicado bajo los términos de la Licencia Creative Commons Attribution (CC BY-NC-SA 4.0), la cual permite el uso, la distribución y la reproducción de forma no comercial, siempre que se cite al autor y la fuente original.

Cite este artículo como: Mollard L, Chahdi Beltrame M, Salutto V L y col. Histoplasmosis hepática y peritoneal simulando otra patología. Acta Gastroenterol Latinoam. 2022;52(4):506-511 https://doi.org/10.52787/agl. v52i4.259

Referencias

1. Davel G., Canteros CE. Situación de las micosis en la República Argentina. Rev. argent. microbiol. [Internet]. 2007 Mar [citado 2022 Jul 18];39(1):28-33. Disponible en: http://www.scielo.org.ar/scielo. php?script=sci_arttext&pid=S0325-75412007000100008&lng=es

2. Negroni R. Histoplasmosis en América Latina. Biomédica [Internet]. 1 [citado 18 de julio de 2022];31(3):301-4. Disponible en: https://revistabiomedica.org/index.php/biomedica/article/view/597

3. Task Force of the Medical Scientific Advisory Board of the Myasthenia Gravis Foundation of America, Jaretzki A III, Barohn RJ, Ernstoff RM, Kaminski HJ, Keesey JC, et al. Myasthenia gravis: Recommendations for clinical research standards. Neurology [Internet]. 2000 [citado el 26 de septiembre de 2022];55(1):16-23. Disponible en: https://pubmed.ncbi.nlm.nih.gov/10891897/4

4. Mahajan M. Etymologia: Histoplasma capsulatum. Emerg Infect Dis [Internet]. 2021 [citado el 26 de septiembre de 2022];27(3):969969. Disponible en: http://dx.doi.org/10.3201/eid2703.et2703

Consentimiento para la publicación. Se obtuvo el consentimiento informado por escrito del paciente, para la publicación de los datos y/o imágenes clínicas en beneficio de la ciencia. La copia del formulario de consentimiento se encuentra disponible para los editores de esta revista.

Propiedad intelectual. Los autores declaran que los datos y las figuras presentes en el manuscrito son originales y se realizaron en sus instituciones pertenecientes.

Gastroenterol Latinoam 2022;52(4):506-511

5. Goodwin RA, Loyd JE, Des Prez RM. Histoplasmosis in normal hosts. Medicine (Baltimore) [Internet]. 1981 [citado el 9 de diciembre de 2022];60(4):231-66. Disponible en: https://pubmed. ncbi.nlm.nih.gov/7017339/

6. Wheat J. Histoplasmosis. Experience during outbreaks in Indianapolis and review of the literature. Medicine (Baltimore) [Internet]. 1997 [citado el 9 de diciembre de 2022];76(5):339-54. Disponible en: https://pubmed.ncbi.nlm.nih.gov/9352737/7. Rihana NA, Kandula M, Velez A, Dahal K, O’Neill EB. Histoplasmosis presenting as granulomatous hepatitis: case report and review of the literature. Case Rep Med. 2014 Jun 9;2014:879535.

510
Acta
Histoplasmosis hepática y peritoneal simulando otra patología Lourdes Mollard y col.

7. Rihana NA, Kandula M, Velez A, Dahal K, O’Neill EB. Histoplasmosis presenting as granulomatous hepatitis: case report and review of the literature. Case Rep Med [Internet]. 2014 [citado el 9 de diciembre de 2022];2014:879535. Disponible en: https:// pubmed.ncbi.nlm.nih.gov/25013413/

8. Muhanna A, Nimri FM, Almomani ZA, Al Momani L, Likhitsup A. Granulomatous hepatitis secondary to histoplasmosis in an immunocompetent patient. Cureus [Internet]. 2021 [citado el 9 de diciembre de 2022];13(9):e17631. Disponible en: https:// pubmed.ncbi.nlm.nih.gov/34513533/

9. Kibria R, Bari K, Ali SA, Barde CJ. “Ohio River valley fever” presenting as isolated granulomatous hepatitis: a case report. South Med J [Internet]. 2009 [citado el 9 de diciembre de 2022];102(6):656-8. Disponible en: https://pubmed.ncbi.nlm. nih.gov/19434026/

10. Lamps LW, Molina CP, West AB, Haggitt RC, Scott MA. The pathologic spectrum of gastrointestinal and hepatic histoplasmosis. Am J Clin Pathol [Internet]. 2000 [citado el 9 de diciembre de 2022];113(1):64-72. Disponible en: https://pubmed.ncbi.nlm. nih.gov/10631859/

11. Martin RC 2nd, Edwards MJ, McMasters KM. Histoplasmosis as an isolated liver lesion: review and surgical therapy. Am Surg [Internet]. 2001 [citado el 9 de diciembre de 2022];67(5):430-1. Disponible en: https://pubmed.ncbi.nlm.nih.gov/11379642/

12. Arlet JB, Furco-Mazzantini A, Huerre M, Neuville S, Molina JM. African histoplasmosis infection with peritoneal involvement. Eur J Clin Microbiol Infect Dis [Internet]. 2004 [citado el 9 de diciembre de 2022];23(4):342-4. Disponible en: https://pubmed. ncbi.nlm.nih.gov/15015032/

13. Levy AD, Shaw JC, Sobin LH. Secondary tumors and tumorlike lesions of the peritoneal cavity: imaging features with pathologic correlation. Radiographics [Internet]. 2009 [citado el 9 de diciembre de 2022];29(2):347-73. Disponible en: https://pubmed.ncbi. nlm.nih.gov/19325052/

14. Rimtepathip PP, Erickson A, Katner H, Bakri Y. Disseminated histoplasmosis presenting as pelvic inflammatory disease. Clin Case Rep [Internet]. 2016 [citado el 9 de diciembre de 2022];4(1):76-80. Disponible en: https://pubmed.ncbi.nlm.nih. gov/26783441/

15. Rødgaard A, Nielsen FC, Djurup R, Somnier F, Gammeltoft S. Acetylcholine receptor antibody in myasthenia gravis: predominance of IgG subclasses 1 and 3. Clin Exp Immunol [Internet]. 1987 [citado el 26 de septiembre de 2022];67(1):82–8. Disponible en: https://pubmed.ncbi.nlm.nih.gov/3621677/

16. Drebber U, Kasper H-U, Ratering J, Wedemeyer I, Schirmacher P, Dienes H-P, et al. Hepatic granulomas: histological and molecular pathological approach to differential diagnosis-a study of 442 cases: Hepatic granulomas. Liver Int [Internet]. 2008 [citado el 9 de diciembre de 2022];28(6):828-34. Disponible en: https:// pubmed.ncbi.nlm.nih.gov/18312287/

Acta Gastroenterol Latinoam 2022;52(4):506-511

511
Histoplasmosis hepática y peritoneal simulando otra patología Lourdes Mollard y col.

Solución del caso: Paciente con vómitos en el periodo posoperatorio

Viene de la página 453

El síndrome de la arteria mesentérica superior (SAMS) es una causa poco frecuente de obstrucción intestinal proximal. Se caracteriza por la compresión extrínseca de la tercera porción del duodeno, entre la aorta abdominal y la arteria mesentérica superior (AMS) en su origen. Ha sido descrito en la literatura con los siguientes nombres: síndrome de Cast, síndrome de Wilkie, obstrucción duodenal arteriomesentérica e íleo duodenal crónico.1

Los factores predisponentes para el desarrollo de este síndrome son: condiciones asociadas a la pérdida severa de peso (cáncer, SIDA, parálisis cerebral o abuso de drogas), desórdenes alimentarios (anorexia nerviosa, malabsorción), traumatismos (lesiones múltiples por quemaduras o traumatismo encéfalo craneano), cirugías (instrumentación espinal, corrección de escoliosis, cirugía bariátrica, proctocolectomía, reparación de un aneurisma de aorta o funduplicatura de Nissen), anomalías congénitas anatómicas (inserción alta del ligamento de Treitz, malrotación intestinal, adherencias peritoneales, origen bajo de la arteria mesentérica superior o lordosis lumbar aumentada) y patología local (crecimiento neoplásico en la raíz mesentérica, aneurisma disecante de la aorta).2

Cuando afecta al duodeno, el SAMS se caracteriza por presentar dolor epigástrico posprandial, náuseas, vómitos, anorexia y pérdida de peso. El paciente puede presentar hipertensión arterial, hematuria o congestión venosa pelviana cuando hay compresión de la vena renal.

Los criterios diagnósticos de imagen incluyen estrechamiento del ángulo aortomesentérico a < 25°, acortamiento de la distancia entre la AMS y la aorta abdominal a < 8 mm, dilatación del estómago y de la parte proximal del duodeno.3

El SAMS es una causa poco frecuente de obstrucción del intestino delgado. La prevalencia informada en algunos estudios oscila entre el 0,1 y el 0,3%, si bien se desconoce la verdadera incidencia.4 La pérdida de peso

no es el único factor responsable del SAMS, las intervenciones quirúrgicas que distorsionan la anatomía también pueden conducir a este síndrome.

El diagnóstico del síndrome es un desafío y a menudo se retrasa, debido a su baja sospecha o, en ocasiones, a un inicio insidioso. Debe sospecharse en base a la presentación clínica y con el respaldo de pruebas radiológicas.

El tratamiento suele ser conservador e incluye descompresión gástrica, corrección del desequilibrio de electrolitos y soporte nutricional. El soporte nutricional está dirigido a la restauración de la grasa retroperitoneal y a la ganancia de peso, se puede llevar a cabo mediante nutrición parenteral total o por sonda de alimentación enteral.

El fracaso de la terapia médica conservadora o los episodios sintomáticos recurrentes son indicaciones para el tratamiento quirúrgico.

En este paciente se priorizó como terapéutica el soporte nutricional, a través de nutrición parenteral y alimentación con sonda enteral ubicada en cuarta porción duodenal mediante endoscopía. En la actualidad se encuentra con resolución del cuadro clínico.

Consentimiento para la publicación. Para la confección de este manuscrito, se utilizaron datos anonimizados que no han distorsionado su significado científico.

Propiedad intelectual. Los autores declaran que los datos y las figuras presentes en el manuscrito son originales y se realizaron en sus instituciones pertenecientes.

Financiamiento. Los autores declaran que no hubo fuentes de financiación externas.

Conflicto de interés. Los autores declaran no tener conflictos de interés en relación con este artículo.

512 Acta Gastroenterol
♦IMAGEN DEL NÚMERO
Latinoam 2022;52(4):512-513

Aviso de derechos de autor

© 2022 Acta Gastroenterológica Latinoamericana. Este es un artículo de acceso abierto publicado bajo los términos de la Licencia Creative Commons Attribution (CC BY­NC­SA 4.0), la cual permite el uso, la distribución y la reproducción de forma no comercial, siempre que se cite al autor y la fuente original.

Cite este artículo como: Rojas G F, Mariño Camacho G A, Andruetto J A y col. Paciente con vómitos en el periodo posoperatorio. Acta Gastroenterol Latinoam. 2022;52(4):512513 https://doi.org/10.52787/agl.v52i4.267

Referencias

1. Fiorini S, Sáenz Tejeira MM, Tennina C, Tomezzoli S, Requejo N. [Superior mesenteric artery syndrome (Wilkie syndrome): case report]. Arch Argent Pediatr. 2008 Dec; 106(6):546-8.

2. Dorph MH. The cast syndrome; review of the literature and report of a case. N Engl J Med. 1950 Sep 21;243(12):440-2.

3. Ali T, Tomka J, Bakirli I, et al. Surgical Treatment of Wilkie’s Syndrome by Vascular Transposition. Cureus 14(4):e24251.

4. Cohen LB, Field SP, Sachar DB. The superior mesenteric artery syndrome. The disease that isn't, or is it? Journal of Clinical Gastroenterology. 1985 Apr;7(2):113-116.

5. Zaraket V, Deeb L. Wilkie's Syndrome or Superior Mesenteric Artery Syndrome: Fact or Fantasy? Case Rep Gastroenterol. 2015 Jun 5;9(2):194-9.

Acta Gastroenterol Latinoam 2022;52(4):512-513

513
Paciente con vómitos en el periodo posoperatorio Germán Francisco Rojas y col
Vol 52 Nº4 año 2022

Turn static files into dynamic content formats.

Create a flipbook
Issuu converts static files into: digital portfolios, online yearbooks, online catalogs, digital photo albums and more. Sign up and create your flipbook.