REVISTA AQUACULTURA 163

Page 1


Edición 163 - Febrero 2025

La innovación y tecnología - El motor del primer eslabón en la producción de camarón: la larvicultura

Programa Scale Up: Impulsando una carrera hacia la cima en los laboratorios de larvas

SIN TREGUA: Crimen organizado sigue incursionando en tierras productivas

ECUADOR FIRST CLASS SHRIMP

10 años llevando al mundo el mensaje de la industria camaronera ecuatoriana: liderazgo y excelencia

El camarón Penaeus vannamei sobrevive a la infección por el virus del Síndrome de la Mancha Blanca mediante fiebre conductual

Mortalidad de larvas y postlarvas de camarones en cultivo en América

Desbloquee todo el potencial de su laboratorio con microalgas vivas enriquecidas

La suplementación de ácidos biliares en la dieta mejora la sobrevivencia y respuesta inmune de Penaeus vannamei

Principios sobre la calidad de agua en la acuicultura del camarón

Presidente Ejecutivo

Ing. José Antonio Camposano

Editora “AquaCultura”

MSc. Shirley Suasnavas ssuasnavas@cna-ecuador.com

Consejo Editorial

Exportaciones de camarón

Reporte de mercado de China

Reporte de mercado de EE. UU.

Noticias del sector

Noticias empresariales

MSc. Yahira Piedrahita PhD. Leonardo Maridueña Ing. José Antonio Lince Ing. Alex de Wind

Diseño y diagramación Ing. Orly Saltos osaltos@cna-ecuador.com

Ing. Roberto Peñafiel rpenafiel@cna-ecuador.com

Corrección de estilo Daniel Ampuero daniel.ampuero@gmail.com

Comercialización

Gabriela Nivelo gnivelo@cna-ecuador.com

Los asaltos a embarcaciones y vehículos, así como las incursiones de delincuentes en las fincas, han sido denunciados de manera reiterada por la CNA y documentados por la prensa. Hemos insistido en la necesidad de que la fuerza pública mantenga una presencia sostenida en las zonas de mayor riesgo para garantizar la protección de nuestros colaboradores, permitiéndoles movilizarse con tranquilidad hacia sus lugares de trabajo y regresar sanos y salvos a sus hogares. También hemos alertado sobre las pérdidas económicas derivadas de estos ataques y el aumento de los costos de seguridad que las empresas deben asumir para operar con relativa normalidad.

Uno de los problemas más graves que hemos expuesto ante las autoridades es el drama que viven cientos de productores camaroneros en la provincia de El Oro, víctimas de extorsiones por parte de grupos criminales que operan en la zona.

Las autoridades han respondido con firmeza. Se han llevado a cabo numerosos operativos para desarticular estas bandas delictivas, logrando la captura de cientos de infractores y reduciendo los índices de criminalidad en áreas identificadas como de alta peligrosidad.

EDITORIAL

La lucha contra la delincuencia debe ser permanente

Desde la CNA seguiremos denunciando los actos ilícitos que afectan a nuestro sector y coordinando con las autoridades el intercambio de información para mejorar las estrategias de seguridad.

Pero aún queda mucho por hacer. Estamos lejos de alcanzar los niveles de tranquilidad que necesitamos para trabajar en paz, pero es justo reconocer el esfuerzo y el compromiso de la Policía Nacional y las Fuerzas Armadas en la lucha contra el crimen organizado.

Desde la CNA, seguiremos denunciando los actos ilícitos que afectan a nuestro sector y coordinando con las autoridades el intercambio de información para mejorar las estrategias de seguridad. Asimismo, no dejaremos de destacar la labor de la fuerza pública cuando sus acciones generen resultados positivos.

Finalmente, insistimos en que la Fiscalía y el sistema judicial deben actuar con determinación para que todo este esfuerzo culmine en sanciones ejemplares contra los responsables. Solo así podremos aspirar a un entorno más seguro y a una verdadera recuperación del control del espacio público.

DIRECTORIO

PRIMER VICEPRESIDENTE

Ing. Luis Francisco Burgos

Ing. Ricardo Solá

Dr. Alejandro Aguayo

Ing. Chris Olsen

Ing. Ori Nadan

Ing. Francisco Pons

Ing. José Antonio Lince

Ing. Jorge Redrovan

Ing. Alex de Wind

Ing. Kléber Siguenza

Ing. Rodrigo Vélez

Ing. Iván Rodríguez

Ing. Juan Carlos Vanoni

PRESIDENTE DEL DIRECTORIO

Ing. Marcelo Vélez

VOCALES

Ing. Alejandro Ruiz-Cámara

Econ. Heinz Grunauer

Ing. Víctor Ramos

Ing. David Eguiguren

Ing. Humberto Dieguez

Ing. Eduardo Seminario

Ing. Freddy Arias

Ing. Miguel Uscocovich

Ing. Vinicio Aray Dueñas

Econ. Sandro Coglitore

Ing. Rodrigo Laniado

Ing. Roberto Aguirre

SEGUNDO VICEPRESIDENTE

Ing. Fabricio Vargas

Blgo. Carlos Sánchez

Ing. Diego Puente

Ing. Johnny Adum

Sra. Verónica Dueñas

Ing. Alex Elghoul

Ing. Bastien Hurtado

Ing. Luis Burgos

Econ. Wolfgang Harten

Jorge Gonzalez

Andres Rivadulla

Ing. Héctor Marriott

Ing. Edison Brito

La industria camaronera ecuatoriana ha alcanzado un nivel de competitividad global gracias a la combinación de innovación, sostenibilidad y calidad en cada eslabón de su cadena productiva. En este engranaje, los laboratorios de larvas de camarón juegan un papel crucial, ya que son el punto de partida para garantizar cultivos exitosos.

Los laboratorios de larvas han evolucionado significativamente en las últimas décadas, adoptando tecnologías de bioseguridad, mejorando la genética del camarón y optimizando procesos de alimentación para ofrecer postlarvas más resistentes y adaptadas a las condiciones del cultivo. En un mercado donde la demanda por camarón de alta calidad sigue en ascenso, la eficiencia de los laboratorios no solo determina la productividad de las camaroneras, sino también la sostenibilidad de la industria en su conjunto.

Las innovaciones están marcando la diferencia y tienen un impacto significativo en la competitividad del sector acuícola ecuatoriano.

INTELIGENCIA ARTIFICIAL EN LARVICULTURA

Tradicionalmente, la determinación del tamaño de larvas de camarón requería un conteo manual por parte de los técnicos, un proceso que podía tardar entre 3 y 5 minutos por muestra y que, además, estaba sujeto a errores humanos. Este método no solo era tedioso, sino que también limitaba la precisión y eficiencia en la toma de decisiones.

Actualmente, la inteligencia artificial (IA) ha revolucionado esta tarea, reduciendo el tiempo de análisis a menos de 10 segundos por muestra y proporcionando una amplia gama de datos clave, como número de larvas por gramo, peso y longitud promedio, histogramas de peso y longitud, coeficiente de variación, uniformidad, cantidad de animales por talla, pigmentación y ubicación georreferenciada. Todo esto a través de una fotografía.

Además, el sistema permite verificar la precisión de la detección, a través de puntos sobre cada animal identificado, garantizando un control riguroso y detallado del proceso.

La uniformidad de las larvas es un indicador fundamental para el correcto desarrollo del cultivo en las piscinas camaroneras, pero para obtenerlo a través de un proceso manual se debería medir de manera milimétrica cada uno de los individuos de una muestra, lo que podría tomar aproximadamente 30 minutos y no es lo suficientemente preciso. A través de la inteligencia artificial, este proceso toma unos pocos segundos.

Actualmente, la IA permite un análisis integral mediante herramientas avanzadas de inteligencia de negocios, facilitando la optimización de la gestión acuícola y mejorando la toma de decisiones estratégicas para una producción más eficiente y rentable.

El proceso consiste en tomar una fotografía de una cantidad representativa de animales desde una app, la cual generará

en menos de 10 segundos un reporte completo sobre la biometría de esta muestra. Con el seguimiento constante del cultivo, se generará automáticamente un sistema de reportería completo que se podrá visualizar través de un portal web.

Esta tecnología ha revolucionado los procesos acuícolas, ya que brinda una trazabilidad completa desde postlarvas hasta cosecha en piscinas camaroneras, y un monitoreo constante y preciso de la producción.

Entrevista con Alejandro Pineda, LarvIA

Esta tecnología ha transformado los procesos acuícolas, ya que brinda trazabilidad completa y un monitoreo constante y detallado de la producción.

Además, permite optimizar la alimentación mediante el análisis del factor de condición (K), el cual relaciona la longitud y el peso del animal. Este indicador es único en la industria camaronera y ha establecido nuevos estándares de calidad, determinando el nivel de disparidad adecuado en etapas de engorde para garantizar la rentabilidad. Actualmente, productores de diversas partes del mundo han adoptado esta tecnología en sus operaciones.

¿Qué tecnología utiliza y cuál es su grado de precisión?

La herramienta emplea algoritmos avanzados de inteligencia artificial y visión computarizada a través de una aplicación móvil, sin necesidad de equipos especializados; solo se necesita un teléfono con cámara y conexión a internet. Gracias a esta facilidad de uso, su implementación es sencilla y accesible tanto para laboratorios como para camaroneras. Además, cuenta con un nivel de precisión del 99%, lo que garantiza la fiabilidad de los datos y permite a los acuicultores tomar decisiones informadas para mejorar su producción. Como bien se dice en la industria: “lo que no se puede medir, no se puede mejorar”.

¿Qué tipo de información se puede obtener con esta app y cómo ha facilitado el trabajo en los laboratorios y camaroneras?

Este sistema permite obtener datos

“La implementación de la inteligencia artificial en la producción de camarón ha marcado un antes y un después en la industria. Gracias a esta tecnología, ahora podemos obtener información clave en segundos, lo que optimiza todo el ciclo productivo y asegura una mayor rentabilidad y sostenibilidad de la producción”.

detallados sobre el peso y longitud promedio; histogramas de peso y longitud; coeficiente de variación, tasa de crecimiento, pigmentación, tallas comerciales y otros indicadores clave. El monitoreo detallado asegura una producción más homogénea y rentable, facilitando la trazabilidad de los lotes y permitiendo ajustar estrategias de manejo con base en datos precisos.

Además, permite evaluar el rendimiento del cultivo considerando su código genético, su proceso de maduración y su laboratorio de origen, lo que optimiza la selección de los mejores lotes y mejora la eficiencia productiva.

¿Qué actualizaciones ha tenido esta tecnología y cuáles son sus proyecciones futuras?

Desde su lanzamiento hace tres años, esta solución tecnológica ha procesado más de un millón de muestras y ha evolucionado para abarcar distintas etapas del ciclo productivo del camarón. Inicialmente estaba enfocada en las primeras fases de cultivo, pero actualmente también permite monitorear la etapa juvenil y el engorde.

La tecnología está presente en 18 países, incluyendo Arabia Saudita, Indonesia, Vietnam, Alemania, Nueva Caledonia y la mayoría de los países productores de camarón en América.

El próximo objetivo es expandir la herramienta hacia el monitoreo de peces, convirtiéndola

en una solución multiespecies. También se busca seguir desarrollando indicadores clave que permitan mejorar la toma de decisiones en la industria acuícola a nivel global.

¿Cuál es el costo de implementación?

El costo varía según las necesidades específicas de cada laboratorio o camaronera. Existen planes personalizados, desde pequeñas operaciones con 50 análisis mensuales hasta soluciones para grandes productores. No obstante, independientemente del plan elegido, se garantiza el mismo nivel de reportería y servicio, asegurando que todos los clientes puedan maximizar los beneficios de esta tecnología.

La adopción de esta tecnología no requiere modificaciones en infraestructura ni la adquisición de equipos especializados. Su implementación es muy accesible, ya que basta con un teléfono móvil con cámara e internet para utilizar sus funcionalidades, lo que facilita su integración en distintos entornos productivos.

TECNOLOGÍA PARA MEDICIÓN DE PARÁMETROS EN LARVICULTURA

El control de la calidad del agua es un aspecto fundamental en los laboratorios acuícolas, donde el uso de equipos de medición permite garantizar condiciones óptimas para el desarrollo de organismos acuáticos. Instrumentos como medidores de oxígeno disuelto, temperatura, conductividad y salinidad son esenciales para monitorear parámetros que inciden directamente en la salud y crecimiento de especies como el camarón.

Una multinacional que opera hace más de tres décadas en Ecuador, se enfoca exclusivamente en equipos de medición puntual, como el Pro DSS y Pro SOLO. Estos dispositivos no están catalogados como equipos de "medición continua", aunque tienen la capacidad de configurarse para realizar mediciones automáticas en intervalos programados, por ejemplo, cada cinco minutos entre las 10h00 y las 12h00. Sin embargo, esta funcionalidad no suele ser utilizada. A diferencia de estos equipos, sistemas como MEDUSA o CONSIBIO funcionan como terminales y controladores

estáticos diseñados para medición continua en piscinas o tanques, permitiendo el acceso remoto a los datos a través de una nube.

Factores determinantes en la medición

Para obtener datos precisos, es necesario considerar diversas variables entre ellas:

-Oxígeno disuelto: Un parámetro crítico que varía según la altitud, salinidad y temperatura, en rangos controlados asegura un mejor consumo de alimento y crecimiento, pero en rangos bajos puede afectar la supervivencia de los organismos, causando estrés, baja ingesta de alimentos y mortalidad.

- Conductividad: Mide la capacidad del agua para conducir electricidad, clave indicador de la calidad del agua en la acuicultura. Se utiliza para controlar la calidad del agua y los niveles de salinidad.

-Temperatura: Tanto el crecimiento como la supervivencia se ven afectados por la temperatura.

-Presión Barométrica: La presión barométrica afecta principalmente la cantidad de oxígeno disuelto en el agua, ya que una presión atmosférica más alta conduce a una capacidad ligeramente mayor del oxígeno para disolverse en el agua, lo que puede ser beneficioso para el crecimiento del camarón, aunque el efecto generalmente se considera menor en la mayoría de las áreas costeras debido a niveles de presión relativamente estables al nivel del mar; sin embargo, cambios significativos en la presión podrían afectar los niveles de oxígeno y potencialmente afectar la salud del camarón.

“Para una buena toma de mediciones de Oxígeno Disuelto, correcciones de los factores de Conductividad o Salinidad y Presión

Barométrica a 760 mmHg a nivel del mar deben ser corregidas antes de cada corrida de mediciones para asegurar una correcta data en el caso de sensores polarográficos. Hay equipos digitales en el mercado con Celdas de Conductividad y Sensores de Oxigeno Disuelto Óptico (ODO) que no requerirán de calibraciones diarias sino periódicas para asegurar una excelente data”.

Segundo Hagó Especialista de CODEMET

Equipos de medición y su aplicación en acuicultura

Diferentes tecnologías han sido desarrolladas para optimizar la medición de estos parámetros, facilitando la recopilación y almacenamiento de datos en el equipo para ser transferidos a un PC. Entre los dispositivos utilizados en laboratorios y centros de producción acuícolas destacan dos modelos con características especializadas:

YSI PRODSS: Medidor digital de calidad de aguas multiparamétrico Este dispositivo permite la medición simultánea de diversos indicadores de calidad del agua, gracias a su capacidad de conexión con múltiples sensores.

Sus principales características incluyen:

•Cuatro puertos para la conexión de Hasta 4 sensores a la vez.

•Medición de Oxígeno Disuelto, Conductividad-Temperatura, Salinidad, TSS, ORP, pH, turbidez, cloruro, amonio, nitrato y algas totales, entre otros.

•Almacenamiento de 100,000 conjunto de datos transferibles a un computador.

•Cable de hasta 100 metros para mediciones en campo.

•Sensores inteligentes digitales de alta precisión con carcasa de titanio para condiciones hostiles.

Una gran inversión por su precisión y durabilidad lo convierten en una herramienta útil para laboratorios que requieren monitoreo constante y detallado.

YSI ProSolo: Medidor Óptico de Oxigeno Disuelto (ODO)

Instrumento portátil diseñado para soportar las condiciones de campo más duras pero lo suficientemente preciso para su uso en un laboratorio. Mide Oxígeno Disuelto basado en luminiscencia, para obtener lecturas rápidas y confiables.

Sus características incluyen:

•Disponible en versiones de ODO y Temperatura o ODO, Conductividad, Salinidad y Temperatura

•Memoria para 100,000 conjuntos de datos y transferibles al computador

•Diseño robusto con recubrimiento de caucho, resistente a condiciones adversas.

•Pantalla a colores, Puerto USB

•No requiere de calibraciones diarias sino periódicas para garantizar la precisión de los resultados.

Su facilidad de uso y bajo mantenimiento lo convierten en una opción práctica para mediciones en campo o laboratorio, asegurando la confiabilidad de los datos sin requerir infraestructura adicional.

Tecnología al servicio de la producción acuícola

El uso de equipos de medición avanzados permite a los laboratorios acuícolas optimizar sus procesos de control de calidad del agua, ajustando condiciones clave para el desarrollo de los organismos en cultivo.

Mientras el YSI PRODSS cuenta con monitoreo multiparamétrico con alta precisión, el YSI ProSolo se presenta como una solución portátil especializada en oxígeno disuelto. La elección del equipo adecuado dependerá de las necesidades de cada laboratorio y de la importancia de contar con datos exactos para mejorar la eficiencia productiva en la acuicultura.

ARTEMIA VIVA Y SU IMPACTO EN LA LARVICULTURA

El uso de artemia viva en la alimentación de larvas de camarón ha marcado un cambio en la industria acuícola ecuatoriana. Según expertos, la implementación de un proceso automatizado para la producción y entrega de este alimento ha permitido mejorar el desarrollo del Penaeus vannamei, optimizando su crecimiento desde los primeros estadios.

La Revista Aquacultura entrevistó a Óscar

Posada del laboratorio I&V BIO en San Pablo en la provincia de Santa Elena para conocer cómo avanza la producción de artemia viva como alimento para las larvas de camarón.

“Nosotros recibimos huevos de artemia descapsulados de Bélgica; cada lote viene codificado y ajustamos sus condiciones de eclosión según su longitud de onda de luz, salinidad, temperatura y oxígeno. Esto nos permite asegurar una eclosión de calidad, entregando un producto libre de patógenos en su mejor estado nutricional”.

Óscar Posada I&V BIO

¿Por qué entregan la artemia en estado instar 1?

Porque en este estadio el animal aún no ha abierto ano ni boca, por lo que conserva el 100% de su perfil nutricional. Una vez que comienza a alimentarse, su valor nutricional disminuye.

¿Cómo asimila la larva del camarón la artemia?

La larva del camarón tiene quimiorreceptores que detectan la artemia en el agua debido a su alto perfil de ácidos grasos. Instintivamente, la busca y la consume de inmediato.

¿Cómo está sistematizado el proceso y bajo qué estándares de control de calidad operan?

Todo el proceso está automatizado y controlado desde Tailandia. Cada lote de artemia tiene un código que garantiza parámetros exactos de temperatura, salinidad y oxígeno. Además, se realizan

INVESTIGACIÓN EN LARVICULTURA

El centro de investigación Guayas trabaja en el desarrollo de soluciones científicas para optimizar la alimentación y mejorar la eficiencia en la fase inicial del ciclo productivo del camarón.

Posee un área dedicada a la larvicultura, en la que se realizan pruebas con alimento balanceado importado para los primeros estadíos. La meta es diseñar en Ecuador dietas adaptadas a cada estadio de desarrollo de las larvas y postlarvas, promoviendo mayores tasas de supervivencia y crecimiento, factores determinantes en la competitividad del sector camaronero.

pruebas de calidad como PCR y bacteriología para asegurar que el producto esté libre de patógenos.

¿Cómo ha sido la acogida del producto en el mercado?

Al principio fue difícil cambiar el esquema tradicional, pero los laboratorios han adoptado este nuevo modelo al ver sus beneficios. El producto ha permitido eliminar costos operativos y garantizar una alimentación más precisa.

¿Cómo ha impactado en la producción camaronera la implementación de esta tecnología?

refuerza la importancia de la innovación en la competitividad de la industria camaronera.

Ha optimizado los tiempos de crecimiento del camarón. Antes, el desarrollo de PL1 a PL12 tomaba 12 días; ahora, con el uso de artemia de alta calidad, se logra en 8 a 9 días osea de 209 a 240 pl/gr, lo que representa un ahorro significativo en costos y un mayor rendimiento en producción.

La incorporación de artemia viva en la alimentación larvaria representa un avance en la acuicultura ecuatoriana, al mejorar la eficiencia del proceso productivo y garantizar un suministro nutricional adecuado en las primeras etapas de crecimiento del camarón.

La automatización y el control riguroso de la producción han permitido optimizar la calidad del alimento y reducir riesgos sanitarios, contribuyendo a la sostenibilidad del sector. Si bien la adopción de este modelo ha implicado cambios en las prácticas tradicionales, su impacto en la conversión alimenticia y el desarrollo larvario

El centro de investigación trabaja en proyectos innovadores para mejorar las formulaciones de los alimentos y las prácticas de manejo. Al aprovechar las tecnologías avanzadas de fabricación y los conocimientos científicos, Skretting Aquaculture Innovation tiene también como objetivo abordar los desafíos únicos de la larvicultura, como son la calidad de agua y la prevención de enfermedades. Esta asociación ayuda a crear prácticas acuícolas sostenibles y eficientes desde el comienzo mismo del ciclo de producción”.

La implementación de sistemas de monitoreo en tiempo real, la automatización de procesos y el uso de biotecnología han elevado la eficiencia y competitividad del sector, garantizando un suministro constante de larvas de alta calidad para la industria camaronera.

Además, la adopción de tecnologías innovadoras contribuye a la reducción del impacto ambiental, promoviendo prácticas más sostenibles y alineadas con las exigencias del mercado global. En este contexto, la inversión en investigación y desarrollo tecnológico es clave para asegurar el crecimiento continuo y la resiliencia del sector larvicultor en Ecuador

Sin embargo, es necesario precisar que la tecnología requiere de calibración y verificación manual para constatar la asertividad de los resultados; es decir el talento humano no puede ser reemplazado por la tecnología hasta el momento•

Pamela Nath Directora

Desde que se creó la iniciativa Sustainable Shrimp Partnership (SSP), nuestra misión ha sido identificar áreas de mejora a lo largo de la cadena de valor del camarón para avanzar hacia una producción más sostenible. Fue con esta visión que nació Scale Up, un programa que en sus inicios estaba dirigido a pequeños y medianos productores de camarón, brindándoles herramientas para mejorar su eficiencia y competitividad en mercados internacionales. Sin embargo, pronto entendimos que, para generar incluso un mayor impacto, debíamos empezar desde la base: los laboratorios de larvas.

La idea de trabajar con los laboratorios surgió cuando se identificó que en la etapa inicial de la producción de camarón existían muchas oportunidades de mejora, pero no había una ruta clara hacia la sostenibilidad. No constaba un estándar internacional que se adecuase a las exigencias que buscábamos en SSP, ni a la realidad de Ecuador. Por ello, con el apoyo de la Cámara Nacional de Acuacultura (CNA), desarrollamos uno de los protocolos mas exigentes para laboratorios de larvas de camarón a nivel mundial —la Guía técnica para la sostenibilidad de laboratorios de producción larvaria—, con el que hemos llevado a cabo el programa Scale Up para laboratorios de larvas. Scale Up ha proporcionado directrices claras a los laboratorios para optimizar sus procesos y recursos, implementar prácticas responsables, garantizar el bienestar animal, cumplir con la normativa nacional y alcanzar estándares internacionales en la producción de larvas de camarón. Además, ha fomentado la colaboración, destacando el papel de nuestro miembro asociado Inve Aquaculture, quien contribuyó a generar conciencia sobre alternativas no contaminantes en la producción de Artemia.

Hoy, un año después del lanzamiento de Scale Up, quiero llevarlos a recorrer los avances del proyecto piloto, así como los aprendizajes, los desafíos superados y el impacto que hemos logrado hasta ahora. Ser testigos de que laboratorios han mejorado su desempeño y que reconocen el valor de la sostenibilidad como un estándar, nos confirma que estamos en el camino correcto. Por ello, invitamos a más actores a unirse a esta transformación para consolidar una industria más responsable y competitiva.

Programa Scale Up: Impulsando una carrera hacia la cima en los laboratorios de larvas

Autores:

Pamela Nath

Sally Tabares

Sustainable Shrimp Partnership (SSP) pnath@sustainableshrimp.org

La importancia de la sostenibilidad en los laboratorios de producción larvaria

Durante años, la producción camaronera ecuatoriana ha evolucionado para responder a los estándares internacionales de calidad, seguridad alimentaria y sostenibilidad, llegando a posicionarse como el principal productor y exportador de camarón Penaeus vannamei en el mundo, según cifras de la Organización de las Naciones Unidas para la Alimentación y la Agricultura (FAO). Sin embargo, la base de esta cadena —los laboratorios larvarios- ha permanecido en gran medida sin normativas específicas que agrupe todos los parámetros de sostenibilidad de acuerdo con su realidad.

En Ecuador, el sector larvicultor es vital para la economía, ya que genera alrededor de 350 millones de dólares al año y sostiene a más de 3000 familias, según la Asociación de Laboratorios Productores de Larvas (Asolap). Cada mes, los laboratorios producen aproximadamente 15 mil millones de larvas, críticas para el desarrollo de la industria camaronera. Actualmente, hay 176 laboratorios legalmente inscritos en el país, asegurando estándares de calidad y cumplimiento normativo, como lo registra la Subsecretaría de Calidad e Inocuidad.

Es importante reconocer que los laboratorios de larvas, como primer eslabón en la cadena de producción del camarón, son el punto de partida de una producción sostenible. La calidad de las larvas tiene un impacto directo en el crecimiento, supervivencia de los organismos y la productividad en las fincas camaroneras. Además, las prácticas adoptadas en estos laboratorios influyen significativamente en el rendimiento ambiental y social de toda la industria.

La carrera hacia la cima en los laboratorios larvarios Sustainable Shrimp Partnership (SSP) ha tomado un rol activo en la mejora continua de este sector, y opera como un ecosistema precompetitivo dedicado a la sostenibilidad de la industria camaronera, comprometiéndose a producir camarones de alta calidad bajo estándares sociales y ambientales estrictos, y promoviendo una mayor colaboración y transparencia.

Hace más de un año, esta iniciativa lanzó el programa Scale Up en colaboración con la Cámara Nacional de Acuacultura (CNA). Su objetivo fue ofrecer un conjunto de herramientas y asesoramientos destinados a mejorar el desempeño ambiental y social tanto de los laboratorios de ciclo cerrado como para los laboratorios que se dedican a la larvicultura.

“El programa Scale Up, a través de actividades de capacitación y auditorías, prepara a los laboratorios para la implementación efectiva de normativas y estándares de sostenibilidad”, explica la directora de SSP, Pamela Nath. Por ello, se elaboró la Guía técnica para la sostenibilidad de laboratorios de producción larvaria, que establece los estándares y procedimientos a seguir para los participantes del programa.

La guía destaca prácticas que velan por la salud y bienestar del camarón; aseguran que la infraestructura del laboratorio sea idónea para una producción limpia e innovadora; establecen principios de bioseguridad; impulsan la implementación de medidas para la reducción y consumo responsable de energía y agua; fomentan la aplicación de la responsabilidad social, igualdad de género y condiciones laborales dignas en la empresa; promueven la formación de alianzas para salvaguardar la vida marina, y apoyan la formalización del sector larvicultor.

“Los laboratorios que participan en el programa no obtienen una calificación SSP, sino un reconocimiento respaldado por SSP y la CNA que confirma que cumplen con los estándares establecidos en la guía técnica,

protocolo que fue revisado por World Wildlife Fund (WWF), The Nature Conservancy (TNC), entre otras organizaciones”, asegura Nath.

Resultados del primer año de Scale Up “Después de capacitar a más de 106 personas en la guía técnica, hasta ahora, 17 laboratorios han decidido aceptar los lineamientos establecidos en este documento y participar en la implementación de las medidas correctivas necesarias para el cumplimiento del mismo”, explica el coordinador técnico de SSP y autor de la guía, Leonardo Maridueña.

Por ello, a lo largo de dos meses, desde el 9 de julio hasta el 29 de agosto de 2024, se realizaron preauditorías para conocer el estado de los laboratorios en relación con el cumplimiento de la guía técnica. Entre los hallazgos encontrados se destacan los siguientes:

1. El 100% de los laboratorios participantes cuenta con un sistema de trazabilidad que les permite informar a sus compradores sobre el lugar de origen de los reproductores, certificar que están libres de enfermedades y garantizar la supervivencia de las larvas.

2. En el ámbito social, el 100% de los laboratorios participantes demuestra un compromiso con la comunidad en su área de influencia, contribuyendo a su desarrollo. No generan inconvenientes ni causan daños que impidan el desenvolvimiento normal de las actividades comunitarias.

3. El 100% de los laboratorios participantes cumple con los criterios

de salud y seguridad laboral. Garantizan la afiliación de sus empleados al seguro social, implementan planes de emergencia y protocolos de bioseguridad, y aseguran condiciones básicas de bienestar, como el acceso a agua potable y facilidades para el aseo personal.

4. Se ha identificado que el total de los laboratorios cumple con estándares de saneamiento en sus instalaciones; sin embargo, estas prácticas no se encuentran formalizadas en protocolos documentados que garanticen prácticas uniformes, respaldo regulatorio, capacitación adecuada y la mejora continua de las operaciones.

5. Todos los laboratorios participantes cumplen con el monitoreo y análisis de agua exigido por la normativa ambiental. Sin embargo, se ha detectado un desconocimiento sobre prácticas que podrían mejorar las características de sus efluentes, como la aplicación de sistemas sostenibles de tratamientos físicos y bióticos.

6. El 76% de los laboratorios cumple con los requisitos legales establecidos en la guía técnica; no obstante, se ha identificado que el retraso en su cumplimiento se debe a la falta de respuesta por parte de los organismos de acreditación correspondientes.

7. La infraestructura es el parámetro que exige mayor inversión y mantenimiento en los laboratorios, debido a la proximidad al mar y a la alta salinidad del ambiente. Aunque muchos laboratorios cuentan con la infraestructura necesaria para una correcta producción de larvas,

les resulta complicado implementar mejoras en salud y seguridad industrial, ya que estos aspectos se ven afectados rápidamente por la radiación solar y la salinidad.

Una de las nuevas medidas que propone la guía consiste en desarrollar planes específicos para reducir el consumo de energía y agua, optimizar el uso de materia prima y disminuir la huella de carbono. “Este acercamiento nos permitió reconocer que en Ecuador existen laboratorios con una sólida conciencia ambiental que, mediante el uso de nuevas tecnologías, buscan reducir el consumo de recursos naturales sin comprometer la calidad de sus productos”, añade Maridueña.

El experto también indica que es necesario fortalecer la capacitación del personal para que pueda adquirir un mejor conocimiento sobre normativas, buenas prácticas y cómo minimizar el impacto ambiental. Por último, revela que la gestión de desechos, especialmente plásticos, ofrece una oportunidad para innovar. “En Santa Elena, donde actualmente hay pocos gestores de estos residuos, se puede fomentar la creación de alianzas y soluciones para mejorar el manejo y reciclaje de estos materiales”, opina.

Tras las preauditorías, se han trabajado acciones concretas junto a los participantes para mejorar el desempeño de sus actividades.

1. Se establecieron reuniones de seguimiento para explicar las no conformidades y observaciones de la preauditoría, además de dar recomendaciones asequibles sobre cómo corregir y mejorar su desempeño.

2. Se impartieron dos capacitaciones específicas a los participantes del programa para reforzar los aspectos que necesitaban mayor atención según la normativa establecida en la guía.

3. Como parte del acompañamiento, se revisaron y corrigieron documentos requeridos por la guía, tales como registros, protocolos, diagramas, entre otros.

Finalmente, se realizaron entrevistas en

profundidad a los participantes del programa Scale Up, lo que nos permitió conocer de primera mano sus experiencias y resultados. Estas conversaciones nos ayudaron a identificar y destacar varios casos de éxito que demuestran el impacto positivo del programa.

Omarsa - Mar Bravo

Omarsa, una empresa ecuatoriana dedicada a la producción y exportación de camarón y miembro fundador de SSP, cuenta con una cadena de producción integrada verticalmente que incluye criaderos, camaroneras y plantas procesadoras. Entre sus instalaciones se encuentra el laboratorio de Mar Bravo, situado en la provincia de Santa Elena. Este establecimiento, especializado en la reproducción y cría de larvas de camarón, es un participante destacado de Scale Up que sobresale por su innovación tecnológica, eficiencia energética y por la gestión responsable de recursos y desechos que ya implementaba antes de unirse al programa.

“En Omarsa, nuestras prácticas de producción siempre han tenido en cuenta la conservación del ecosistema, la no utilización de cualquier tipo de antibiótico o agentes terapéuticos, y el uso responsable de los recursos energéticos. Hemos apostado por cultivos orgánicos y ecológicos, producidos de manera respetuosa con el ambiente al no usar químicos ni pesticidas que puedan afectarlo”, expresa la gerente de Producción del laboratorio Omarsa - Mar Bravo, Edissa Palacios.

Entre sus prácticas a resaltar se encuentran:

• La implementación de tecnologías como ultrafiltración y ósmosis inversa para garantizar la calidad del agua y la inclusión de sistemas para la decapsulación de artemia como Sep Art, que elimina el uso de químicos.

• El uso de sistemas de recirculación acuícola (RAS).

• La eliminación de procesos como la ablación del pedúnculo ocular del camarón y la implementación de medidas de bioseguridad para reducir riesgos por enfermedades.

A pesar de que ya contaba con un desempeño notable, el laboratorio decidió

unirse al programa Scale Up para encontrar un marco normativo consolidado que refuerza su cumplimiento con estándares internacionales de sostenibilidad, y mostrando su compromiso con la mejora continua y la apertura a nueva información que contribuya a desarrollar aún más su operación.

“Es una satisfacción saber que los logros que se realizan trabajando en equipo tienen múltiples beneficios para el ambiente y el planeta. Nos sentimos orgullosos de tener esta filosofía y haberla adoptado tempranamente”, detalla Palacios.

Omarsa - Mar Bravo ha participado activamente en las capacitaciones y seguimientos impulsados por el programa, lo que le ha facilitado identificar beneficios, documentar actividades y evaluar el impacto de los cambios efectuados. Asimismo, el programa ha contribuido a reforzar sus medidas de seguridad industrial.

Promarisco - Chanduy Promarisco, parte del Grupo Nueva Pescanova, es miembro fundador de SSP y uno de los principales productores y exportadores de camarón de Ecuador. Es reconocido por su experiencia en la cría y producción de larvas de camarón. Su laboratorio en Chanduy, provincia de Santa Elena, es una pieza clave en su cadena de producción integrada y también forma parte del programa Scale Up. Promarisco - Chanduy ha destacado en Scale Up por reforzar sus prácticas en responsabilidad ambiental. Entre los logros más notables se encuentran diversas estrategias para reducir la huella de carbono de sus operaciones.

Por un lado, han implementado un plan de reforestación a corto plazo: “Hemos identificado los árboles nativos del sector para sembrarlos en las riveras del estero y en las áreas comunes del laboratorio, un espacio de alrededor de 1500 m2, de los cuales 500 m2 se han sembrado con manglar”, explica el jefe de control de Calidad y Procesos en el laboratorio Promarisco, Alex Ricardo.

El plan de adopción de energías alternativas también ha sido otro punto a destacar en Promarisco: “La instalación de seis

sistemas de iluminación con paneles solares refleja nuestro esfuerzo por reducir la huella de carbono de nuestra actividad. Actualmente, el 10% de nuestra iluminación funciona con energía solar. Sin embargo, nos hemos planteado continuar con la compra y aumentar nuestro consumo de energías limpias”, añade Ricardo.

Desde que implementaron su plan de reducción de insumos en octubre, Promarisco también ha sustituido el uso de plástico de un solo uso por materiales de vidrio. “Hemos eliminado la compra mensual de alrededor de 1200 vasos plásticos, así como 480 tarrinas y 480 cucharas desechables”, comparte Ricardo. Además, el laboratorio se ha centrado en que los desechos de los insumos sean aprovechados, mediante la reutilización de envases.

Otra forma de contribuir con el ambiente ha sido el programa de mingas periódicas de limpieza en las playas cercanas al laboratorio. A pesar de que sus actividades no ocasionan un impacto directo en las playas, estas se ven influenciadas por actividades como la pesca artesanal y puertos cercanos. “Dada nuestra proximidad al puerto pesquero, es común encontrar materiales como cabos, flotadores y redes, además de otros residuos típicos en las orillas del mar. En la última limpieza, recolectamos 88 kg de desechos, lo cual resultó en una mejora notable en la condición de la playa y las zonas adyacentes al laboratorio”, comentó el experto.

Es fundamental mantener la responsabilidad ambiental en todas las operaciones para prevenir el agotamiento de los recursos, conservar la calidad del agua, aire y suelo, y proporcionar un hábitat sano para las especies nativas. De esta manera, se mantiene el equilibrio del ecosistema.

Texcumar 5

Texcumar S.A. es una empresa ecuatoriana dedicada a la reproducción y mejoramiento genético del camarón, que se especializa en la producción de nauplios. Su laboratorio Texcumar 5, ubicado en la comuna San

Pablo (Santa Elena), también se incluye dentro del programa Scale Up. Al igual que otros laboratorios, este ha adoptado nuevas tecnologías y estrategias que contribuyen al desarrollo sostenible de su actividad.

“En nuestro laboratorio, hemos implementado bombas de calor a gas, ya que generan menor emisión de gases contaminantes, ofrecen un control preciso de la temperatura y han demostrado ser una alternativa eficiente en situaciones donde se requiere un calentamiento rápido y continuo. Gracias a su alto rendimiento térmico, estas bombas minimizan costos operativos”, indica el CEO de Texcumar, Rafael Verduga. Entre otras de las innovaciones adquiridas, destaca su sistema de recirculación de agua y la ósmosis inversa.

Durante nuestra entrevista con Verduga, abordó los retos que enfrenta el sector en la transición de métodos tradicionales a prácticas alineadas con la responsabilidad ambiental, que garantizan la salud animal y que siguen las normas de buenas prácticas. Este es el caso de la no ablación del pedúnculo ocular de las hembras de camarón: “Adoptar esta medida fue un desafío por la inestabilidad y predictibilidad de la producción de nauplios, pero gracias a constantes mejoras en producción y análisis del comportamiento de los reproductores hemos logrado manejar la no ablación y evitar problemas comerciales”, describe el CEO.

Leonardo Maridueña, coordinador técnico de SSP, resalta las mejoras en el laboratorio Texcumar 5 como resultado de su participación en el programa Scale Up. “Texcumar ha avanzado significativamente en sus prácticas, mejorando su sistema de almacenamiento de combustibles y la gestión de residuos. Además, han implementado protocolos en prácticas ya existentes y adoptado políticas alineadas con la guía técnica, lo que refleja su compromiso con la sostenibilidad”, comenta Maridueña.

“Respaldar nuestras prácticas por medio de este reconocimiento nos enfoca en seguir mejorando, y refleja nuestra visión de querer estar siempre un paso adelante y afrontar los cambios en búsqueda de una producción sostenible”, concluye Verduga.

Ampilab

Un laboratorio, con más de 30 años de experiencia en producción de larvas de camarón, es un ejemplo de cómo incluso los laboratorios más pequeños comparten el compromiso de avanzar hacia prácticas sostenibles y eficientes. “Somos conscientes de que para mantenernos competitivos en el mercado frente a laboratorios más grandes, necesitamos ofrecer una larva de excelente calidad. Por eso, nos esforzamos mucho en trabajar con los mejores productos y estamos comprometidos con adoptar las mejores prácticas”, explica la gerente y fundadora de Ampilab, Amparito Mejía.

En el marco de Scale Up, Ampilab ha reconocido que para una mejor calidad de efluentes y reducir los desperdicios, necesitaba realizar un cambio a lo largo de sus operaciones. Primero, adoptando medidas para la captura de los sólidos suspendidos en los efluentes, y segundo, evaluando la dosificación de alimentos y la reformulación de su tabla de alimentación.

Como resultado, no solo tuvieron mejoras en la calidad del efluente, sino también en una mayor supervivencia de la larva, una reducción en los costos de producción, la minimización de desperdicios y la optimización de recursos. “Nos dimos

cuenta de que alimentar más no significaba necesariamente mejores resultados. Adaptamos nuestras prácticas para hacerlas más eficientes, asegurando que cada insumo cumpla su función de la mejor manera posible. Así pudimos generar ahorros de hasta $1300 en costos de alimentación por corrida, sin comprometer la salud de las larvas”, señala Mejía.

Este laboratorio también ha avanzado en la gestión responsable de residuos: “El programa nos ha ayudado a clasificar los insumos e identificar los desechos que generamos, para establecer si estos deberían ser reciclados, reutilizados o enviados con los desechos comunes”, detalla la gerente. A través de la clasificación adecuada, la contratación de empresas especializadas para la disposición de desechos y la solicitud de limpieza por parte del municipio correspondiente, Ampilab ha reducido considerablemente su impacto ambiental.

“Nos sentimos orgullosos de los avances que hemos logrado gracias al programa Scale Up. Ser parte de esta iniciativa nos ha impulsado a optimizar nuestras operaciones y demostrar que, con esfuerzo y enfoque, podemos competir y crecer, incluso siendo un laboratorio pequeño”, destacó el equipo de Ampilab.

Conclusiones

Este proyecto piloto nos ha permitido identificar áreas críticas como la gestión de la calidad del agua, el manejo de desechos y la implementación de protocolos que demuestren sus buenas prácticas, y la necesidad de compartir la importancia de cumplir con las normativas nacionales e internacionales. Asimismo, nos ha dado la oportunidad de observar de cerca la realidad de los laboratorios, destacando las mejoras ya realizadas y el cumplimiento de estándares que velan por el bienestar de sus trabajadores.

Entre los próximos pasos del programa Scale Up, prevemos continuar con las capacitaciones para todos los empleados del laboratorio y brindar las recomendaciones necesarias hasta conseguir el reconocimiento. Finalmente, planeamos hacer seguimiento a los laboratorios que ya han recibido el reconocimiento y, en una segunda etapa, poder extenderlo a más laboratorios y seguir fortaleciendo el primer eslabón en la cadena de producción del mejor camarón del mundo•

Para más información sobre este artículo, contactar a: pnath@sustainableshrimp.org

La delincuencia organizada transnacional ha llevado su accionar a un nuevo nivel: la apropiación ilícita de tierras privadas en zonas productivas, convirtiéndolas en centros estratégicos para sus operaciones criminales. Amenazando a trabajadores y propietarios se instalan para tomar control del territorio.

Las modalidades de incursión varían, pero todas comparten un factor común: la violencia y la intimidación. En muchos casos, los delincuentes ingresan armados para perpetrar asaltos, mientras que en otros se infiltran como trabajadores para estudiar el terreno y sus potenciales víctimas. Una vez establecidos, inician campañas de amenazas y amedrentamiento contra propietarios y empleados, forzándolos a ceder.

En febrero pasado, dos hechos evidenciaron la creciente presencia del crimen organizado en zonas productivas del país. En Guayas, las autoridades capturaron a alias “Negro Barrei” dentro de un predio productivo, mientras que en la provincia de El Oro, cuatro antisociales fueron detenidos en circunstancias similares. Estos casos refuerzan la preocupación por el avance de organizaciones delictivas que se apropian de propiedades privadas para utilizarlas como centros de operaciones ilícitas.

Por otra parte, las organizaciones criminales han diversificado sus métodos de extorsión, afectando gravemente al sector camaronero ecuatoriano. El cobro de 'vacunas' o pagos de 'protección' se ha convertido en una práctica recurrente, donde grupos delictivos exigen dinero a productores, trabajadores y transportistas a cambio de “seguridad”.

El robo de carga ha escalado alarmantemente, con bandas de piratas fluviales y grupos armados interceptando embarcaciones y camiones para apoderarse del producto y revenderlo en el mercado negro. Además, se ha detectado la infiltración de delincuentes en las propias operaciones camaroneras, quienes, haciéndose pasar por trabajadores o utilizando contactos internos, acceden a información clave sobre rutas de transporte y medidas de seguridad. Falsos retenes instalados por bandas criminales en las principales vías del

país han agravado el problema, exigiendo pagos ilegales a transportistas.

Uno de los episodios más recientes ocurrió en el golfo de Guayaquil, cuando un grupo de delincuentes armados interceptó una embarcación que transportaba a trabajadores de una camaronera cerca de la isla Puná. Los asaltantes despojaron de sus pertenencias a los pasajeros y se llevaron la lancha con su capitán. Afortunadamente, gracias a la rápida acción policial, el capitán fue rescatado 10 horas después y se recuperaron tres motores de 200 HP junto con la embarcación robada. Sin embargo, los atacantes lograron escapar, refugiándose en el manglar.

En Ecuador, la lucha contra el crimen organizado enfrenta un serio obstáculo: la impunidad. Aunque la Policía Nacional logra capturar a delincuentes vinculados a organizaciones criminales, muchos de ellos recuperan su libertad en cuestión de días, amparados en fallos judiciales, tecnicismos legales o medidas alternativas a la prisión. Este patrón ha convertido al sistema judicial en una puerta giratoria que permite a criminales entrar y salir de la cárcel con facilidad, debilitando el accionar de las fuerzas de seguridad y poniendo en riesgo a la población. Los cabecillas de estas redes delictivas recurren a estrategias como la apelación de procesos, el uso de documentación falsa y la intimidación a jueces y fiscales para evitar condenas. Como resultado, la reincidencia delictiva se mantiene en ascenso, mientras las organizaciones criminales consolidan su control sobre territorios estratégicos, incluyendo zonas productivas, donde imponen su dominio a través de la violencia y la extorsión.

Además del impacto económico, la crisis de seguridad está afectando la inversión en el país. Empresas extranjeras han expresado su preocupación por la falta de garantías para operar en Ecuador, lo que pone en riesgo la competitividad del sector productivo y la generación de empleo.

Entre enero y el 20 de febrero del 2025, cerca de 700 personas habían sido detenidas por diversos delitos que afectan al sector camaronero en zonas como Guayas, El Oro, Santa Elena, Manabí y Esmeraldas, luego de más de 2 mil operativos policiales en sectores de alto interés acuícola.

El papel de la justicia: una puerta giratoria para los criminales

Si bien la Policía Nacional ha intensificado los operativos para capturar a estos delincuentes, el problema principal radica en la falta de efectividad del sistema judicial. Muchos de los detenidos recuperan su libertad en cuestión de días, aprovechando decisiones judiciales cuestionables, tecnicismos legales o aplicando coerción contra jueces y fiscales. Esta debilidad en la aplicación de la ley ha convertido a la justicia en una verdadera puerta giratoria para el crimen organizado, que permite a los delincuentes volver a las calles en poco tiempo a seguir cometiendo fechorías.

Otro delito en aumento es el robo de carga del sector acuícola por vías fluviales. Bandas de piratas y grupos armados interceptan embarcaciones que salen de las camaroneras para apoderarse del producto y revenderlo en el mercado negro, generando cuantiosas pérdidas a sus productores.

La Cámara Nacional de Acuacultura (CNA) ha instado de forma reiterada a a la Armada del Ecuador para que refuerce los patrullajes en zonas de alta inseguridad fluvial.

“Desde hace más de un año hemos alertado sobre esta situación al ministro de Defensa y demás autoridades competentes para que se exija al Ministerio de Finanzas que asigne el presupuesto que la Armada requiere para dar seguridad a quienes trabajamos en el golfo. El sector camaronero ha cumplido con su aporte en el pago de contribuciones e impuestos requeridos para enfrentar el conflicto armado interno. No garantizar la seguridad de la cadena del camarón pone en riesgo más de 300 mil empleos y una importante generación de divisas, por lo que es fundamental que se disponga de estos recursos de manera urgente”.

José Antonio Camposano

GUAYAS

EL ORO

Detenido uno de los más buscados

Cristhian Javier B., alias “Negro Barrei”, presunto líder de “Los Lobos”, fue detenido en la isla Puná con armas de fuego y equipos de comunicación. La Fiscalía presentó pruebas, y un juez ordenó su prisión preventiva en la Penitenciaría del Litoral por tráfico de armas.

Detenidos extorsionadores de camaroneras

La Policía desarticuló una banda de “Las Águilas” que extorsionaba camaroneras en Tambo y Yaguachi, exigiendo $15.000 mensuales. En el operativo realizado en Yaguachi, capturaron a 14 sospechosos y decomisaron armas y vehículos robados.

Asesinan a militar guardacostas de la Armada cerca de un puerto de Guayaquil

En menos de una semana se reporta al asesinato de otro militar en Ecuador. El crimen ocurrió en la mañana del jueves 20 de febrero del 2025, cerca de un puerto de Guayaquil. El militar de la fuerza naval tenía el grado de cabo primero y fue interceptado en el sector de la Isla Trinitaria, sur de la ciudad. La Armada confirmó el crimen del guardacostas. Paralelamente, el Bloque de Seguridad ejecutó allanamientos en el sector y retuvo a tres menores de edad presuntamente involucrados en el asesinato del marino.

Capturan a cuatro presuntos integrantes del grupo delictivo "SAO-BOX" en Puerto Bolívar

En una operación coordinada, unidades investigativas lograron la aprehensión de cuatro presuntos integrantes del Grupo de Acción Organizada (GAO) "SAO-BOX" en el sector de Puerto Bolívar, provincia de El Oro. La intervención se llevó a cabo en una embarcación donde los sospechosos almacenaban armas de fuego y cartuchos.

COYUNTURA

DURÁN: LA CIUDAD MÁS PELIGROSA

El incremento de la violencia y la expansión del crimen organizado han convertido a Durán en uno de los puntos más críticos del Ecuador en términos de seguridad. En respuesta a esta situación, las Fuerzas Armadas han reforzado su presencia en este cantón de Guayas, en coordinación con la Policía Nacional, con el objetivo de frenar la creciente amenaza de bandas delictivas.

El equipo periodístico de la Revista AQUACULTURA entrevistó al Crnel. Johnny Logroño Naranjo, jefe de Estado Mayor de Operaciones Militares del Ámbito Interno de la Fuerza Aérea Ecuatoriana, quien explicó que la labor de las Fuerzas Armadas es complementaria a la de la Policía Nacional. "La seguridad requiere un esfuerzo integral del Estado, incluyendo educación, salud y deporte para fortalecer el entorno social", señala. En este sentido, su estrategia se basa en inteligencia operativa para el control de armas, municiones y explosivos. Además, el estado de excepción vigente les permite realizar allanamientos y supervisar el cumplimiento del toque de queda.

Uno de los principales desafíos en Durán es la lucha contra grupos delictivos como los Chone Killers y Latin Kings, quienes buscan el control territorial a través de la violencia. "El narcotráfico y el microtráfico son problemas centrales, pero también enfrentamos el tráfico de tierras, donde estas bandas han logrado infiltrarse incluso en instituciones del Estado", advirtió Logroño.

Para contrarrestar estos delitos, las FF.AA. han fortalecido su presencia en los ejes viales y realizan operativos constantes en zonas de alto riesgo. "La delincuencia es dinámica y migra de un sector a otro. Por eso, adaptamos nuestras estrategias constantemente", explica el coronel. Además, reconoce la importancia del trabajo conjunto con la empresa privada.

El intercambio de información ha sido clave en esta estrategia. "La coordinación interagencial ha dado resultados, lo que se refleja en las capturas recientes", asegura Logroño. En este aspecto, resalta el papel del ECU 911 y el plan de recompensas como herramientas efectivas para fortalecer la

seguridad. Sin embargo, enfatiza que el apoyo ciudadano es esencial: "Sabemos que muchas personas temen denunciar, pero la inteligencia humana sigue siendo una de las armas más poderosas contra el crimen".

EL DESAFÍO DE LOS RECURSOS

En el ámbito militar, la Fuerza Aérea se enfrenta a limitaciones en cuanto a recursos, pues su misión principal es la soberanía e integridad territorial. Si bien se han adquirido equipos de protección como cascos, chalecos y vehículos, estos siguen siendo insuficientes. Como colaboración, el sector privado ha brindado apoyo con información y medios logísticos cuando ha sido posible.

FALTA DE PERSONAL Y SOLUCIONES

TECNOLÓGICAS

La dotación de personal sigue siendo un reto. Aunque se han sumado 170 efectivos y el Grupo de Operaciones Especiales de la Fuerza Aérea (GOEFA) opera en Durán desde el 2024, la demanda sigue superando la capacidad disponible. Para mitigar esta carencia, se han implementado tecnologías como drones y sistemas electrónicos de vigilancia, aunque no suplen completamente la necesidad del recurso humano.

Uno de los principales obstáculos en la operatividad es la lentitud de los procesos administrativos. A pesar de contar con presupuesto, la compra de equipos y mantenimiento de vehículos y aeronaves se retrasa por los procesos de contratación. Se requiere un régimen especial para agilizar las adquisiciones en el contexto del conflicto armado no internacional que enfrenta el país.

Un aspecto crítico es la falta de un sistema de comunicación moderno en Durán. Actualmente, la Fuerza Aérea opera con redes troncalizadas, pero estas son vulnerables a interceptaciones por parte del crimen organizado. Se han implementado medidas como inhibidores y sistemas de guerra electrónica, pero se necesita con urgencia una actualización tecnológica que permita una respuesta más efectiva.

Para este año, la Fuerza Aérea planea adquirir 270 nuevos equipos de comunicación y reforzar su

infraestructura tecnológica. Sin embargo, la dependencia de un sistema de compras públicas poco ágil limita la rapidez en la implementación de estas mejoras. La modernización de los sistemas de videovigilancia y el fortalecimiento de la cooperación interinstitucional serán claves para consolidar la seguridad en Durán en el mediano y largo plazo.

SEGURIDAD EN DURÁN: ESTRATEGIAS Y DESAFÍOS DE LA FUERZA AÉREA

La seguridad en el cantón guayasense ha sido un tema prioritario en los últimos meses. La Fuerza Aérea, en conjunto con otras entidades, ha implementado estrategias clave para fortalecer el control territorial y reducir la criminalidad en la zona. A través de una combinación de patrullajes, inteligencia y cooperación con el sector privado, se han logrado avances significativos.

Uno de los pilares de la estrategia de seguridad es la rotación del personal y su capacitación constante en valores como la integridad, disciplina y excelencia. Estas medidas buscan evitar la corrupción y la infiltración de grupos criminales dentro de la institución. Además, se han tomado acciones preventivas para fortalecer el liderazgo y la comunicación interna.

La Fuerza Aérea trabaja en estrecha colaboración con el sector privado, incluyendo la Cámara de Agricultura y el

Comité de Empresarios de Durán. A través de esta cooperación, se obtiene información clave que permite planificar patrullajes y mejorar la presencia militar en los horarios y sectores más críticos.

Las cifras reflejan avances importantes en la seguridad cantonal. En noviembre de este año, las muertes violentas se redujeron en un 60% en comparación con el mismo período del año anterior, pasando de 92 a 32 casos. Sin embargo, las autoridades advierten que mejorar la percepción de seguridad requiere atacar otros delitos, como el narcotráfico, el tráfico de armas y la trata de personas.

APOYO INTERNACIONAL EN SEGURIDAD

La Fuerza Aérea ha fortalecido sus relaciones con la embajada de EE.UU., así como con Brasil, Colombia y Perú, recibiendo capacitaciones en combate urbano y manejo de centros de prevención de libertad. Sin embargo, Logroño enfatizó que la cooperación internacional debe enfocarse en romper las cadenas del narcotráfico y la infiltración de armamento, en lugar de simplemente aumentar patrullajes.

MÁS

ALLÁ DEL PATRULLAJE: PROGRAMAS DE IMPACTO SOCIAL

Además de los operativos de seguridad, la Fuerza Aérea implementa programas de acción cívica como "Alas para la Alegría" y "Alas para la Salud", que buscan generar confianza entre los ciudadanos. Estas iniciativas incluyen campañas médicas, donaciones de sillas de ruedas y lentes en colaboración con organizaciones como Fundación Vista para Todos y empresas privadas.

Esto refuerza lo que mencionó Logroño, para quien la lucha contra la delincuencia en Durán requiere un enfoque integral que combine prevención, acción operativa y cooperación interinstitucional. La presencia de grupos delincuenciales organizados (GDO) en el territorio ha generado un desafío para las autoridades, quienes buscan no solo reducir los índices delictivos, sino también evitar su migración a otras zonas. La clave para un cambio real radica en transformar la mentalidad de la juventud y la sociedad, promoviendo caminos alternativos alejados de la criminalidad.

“La seguridad no solo depende de la presencia masiva de fuerzas del orden, sino también de la estrategia y la información. Las autoridades han implementado un sistema de operaciones dinámico, adaptando sus acciones según la situación de cada sector. En algunas áreas, la mejor estrategia es el patrullaje masivo, mientras que en otras, las incursiones puntuales y los allanamientos selectivos ofrecen mejores resultados”.

Crnel. Johnny Logroño N. Fuerza Aérea Ecuatoriana

Además, la cooperación interinstitucional ha sido clave en la lucha contra el crimen. Desde el 1 de septiembre, las Fuerzas Armadas han liderado operativos en Durán, en estrecha coordinación con organismos como la Armada Nacional para controlar el tráfico fluvial, el ECU 911 para la vigilancia en tiempo real y el Servicio Nacional de Aduanas (Senae), que recientemente incautó un cargamento ilegal proveniente de Huaquillas. A pesar de las limitaciones de cada institución, esta colaboración ha demostrado ser efectiva, aunque aún insuficiente para garantizar una seguridad total.

EL CRIMEN ORGANIZADO DESAFÍA

A

LAS FUERZAS DEL ORDEN CON DOS ASESINATOS EN MENOS DE UNA SEMANA

El crimen organizado sigue extendiendo su sombra sobre Ecuador, cobrando la vida de quienes luchan por la seguridad del país. El pasado 14 de febrero, el Tte. Cnel. Porfirio Javier Cedeño Cedeño, comandante del Grupo de Operaciones Especiales de la Fuerza Aérea, fue brutalmente asesinado en un atentado cerca de la Penitenciaría del Litoral. Este ataque, perpetrado con armas de alto calibre, dejó en evidencia el poder de fuego de las estructuras delictivas y la vulnerabilidad de las fuerzas del orden en su lucha contra estas mafias.

Apenas seis días después, la violencia volvió a sacudir al país con el asesinato de un cabo primero de la fuerza naval en Guayaquil. La mañana del 20 de febrero, el uniformado fue interceptado en la Isla Trinitaria y ejecutado por sicarios, en lo que se presume fue un ataque planificado. En respuesta, el Bloque de Seguridad realizó allanamientos en la zona y detuvo a tres menores presuntamente

involucrados en el crimen. Estos hechos reflejan la escalada delictiva que enfrenta Ecuador, donde la delincuencia organizada no solo ataca al sector productivo, sino que ahora pone en la mira a quienes intentan combatirla.

Por otra parte, la seguridad no puede depender únicamente de la presencia policial y militar. Para lograr un cambio real, es necesario un enfoque integral basado en tres pilares estratégicos:

1. Fortalecimiento del Estado en educación, salud y bienestar social para reducir la vulnerabilidad de la población ante el crimen.

2. Cooperación interinstitucional para optimizar el uso de recursos y garantizar una respuesta eficiente contra el crimen organizado.

3. Uso de tecnología e información para mejorar la planificación de operativos y la vigilancia en zonas críticas.

Es esencial fortalecer el sistema judicial para garantizar que los procesos contra el crimen organizado sean eficaces y libres de corrupción, con sentencias firmes y la aplicación de leyes que sancionen severamente a los delincuentes. La cooperación internacional también es clave, ya que Ecuador debe articular esfuerzos con países vecinos para combatir el tráfico de drogas, armas y la trata de personas, reduciendo así el financiamiento de estos grupos. Solo una estrategia coordinada, que combine mano dura contra los criminales con políticas de prevención y desarrollo social, permitirá recuperar la seguridad y la estabilidad en el país, brindando alternativas reales para el desarrollo social•

Escanea el código QR y mira la entrevista completa

Seafood North America 2015, Boston

Conxemar 2015, Vigo, España

CORTA RESEÑA

10 AÑOS LLEVANDO AL MUNDO EL MENSAJE DE LA INDUSTRIA CAMARONERA ECUATORIANA:

LIDERAZGO Y EXCELENCIA

El sector camaronero ecuatoriano celebra con orgullo una década de éxito de Ecuador First Class Shrimp (EFCS), una marca que desde su creación se ha convertido en el estandarte distintivo del país en los escenarios internacionales más relevantes de la acuicultura. Lo que comenzó en marzo de 2015 como una iniciativa de la Cámara Nacional de Acuacultura (CNA) para unificar la identidad del sector en ferias internacionales, hoy es un símbolo de calidad, sostenibilidad y prestigio mundial.

Desde su debut en la International Boston Seafood Show 2015, EFCS ha fortalecido la presencia ecuatoriana en mercados estratégicos como Estados Unidos, Europa y Asia. En sus primeros años, la marca participó en eventos clave como la European Seafood Show (hoy Seafood Expo Global), Conxemar y la China Fisheries & Seafood Expo, consolidando a Ecuador como el mayor exportador de camarón del mundo.

A lo largo de la última década, EFCS ha marcado hitos en ferias icónicas. En 2018, la CNA incorporó World Seafood Shanghai a su calendario de ferias internacionales, fortaleciendo su presencia en el mercado chino. En 2022, EFCS protagonizó un momento histórico en Seafood Expo Global, donde Ecuador presentó lo que al momento era el pabellón más grande de su historia con 23 empresas y un espacio de 436 m². Ese mismo año, la industria camaronera ecuatoriana participó por primera vez en Singapur, donde logró conectar con clientes orientales en Seafood Expo Asia, y en Conxemar en Vigo, España, en la que el número de expositores ecuatorianos se cuadruplicó, reflejando el crecimiento y consolidación de la marca.

Actualmente, Ecuador First Class Shrimp representa el compromiso de la industria camaronera ecuatoriana con la excelencia. La marca ha evolucionado de manera orgánica, respaldada por el liderazgo del país en producción y calidad, así como por el esfuerzo constante de los productores ecuatorianos por mantener los más altos estándares de sostenibilidad e innovación.

Reciente participación:

El camarón ecuatoriano tuvo una destacada participación en la 30.ª edición de Gulfood, una de las ferias de alimentos y bebidas más importantes del mundo, que se llevó a cabo del 17 al 21 de febrero en el World Trade Centre de Dubái, Emiratos Árabes Unidos. A través de la marca Ecuador First Class Shrimp, la Cámara Nacional de Acuacultura (CNA) representó al país en este evento internacional, que reunió a más de 5.500 expositores de 129 países.

En esta edición de Gulfood 2025, Ecuador marcó un hito en la industria acuícola al contar, por primera vez, con un pabellón exclusivo de camarón. Las empresas

Aquagold y Expalsa representaron al sector en un espacio de 48 m² dentro de la zona “World Food”, consolidando la presencia del país en este mercado estratégico.

Emiratos Árabes Unidos representa una oportunidad clave para Ecuador, ya que su población consume en promedio 33 kilos de pescados y mariscos por año, casi el doble de la media mundial de 18 kilos. Sin embargo, el dominio de India, Pakistán y Vietnam en el suministro de camarón en la región planteó un desafío en términos de competitividad y posicionamiento.

“Sin duda, es muy satisfactorio ver lo que la CNA ha logrado con EFCS. Lo que hace 10 años comenzó con la creación de una imagen para los pabellones, hoy en día es una marca que nos permite generar para nuestros miembros una plataforma que destaca su presencia en los eventos internacionales más importantes de la industria y, así mismo al país, la oportunidad de promover el camarón ecuatoriano al mundo, para que continúe siendo un generador de empleo y divisas para la economía. Hemos logrado servir a nuestras empresas, conectando con ellas y potenciando el mensaje que llevan a todos los mercados: En Ecuador estamos comprometidos con la excelencia para producir el mejor camarón del mundo”.

La más reciente participación del camarón ecuatoriano en Emiratos Árabes, en febrero de este año, reafirmó su compromiso por expandir su presencia en uno de los mercados más exigentes y dinámicos del planeta.

Ecuador First Class Shrimp sigue escribiendo su historia, proyectando al mundo el liderazgo de nuestro país en la producción acuícola. Con cada feria y cada evento, la marca reafirma su compromiso con la excelencia y el crecimiento del sector camaronero ecuatoriano. En la siguiente edición de la Revista AQUACULTURA les mostraremos un reportaje especial de EFCS, en el que contaremos su historia a través de sus participantes•

PRÓXIMOS EVENTOS 2025:

Seafood Expo North America

Boston, USA - 16 al 18 de Marzo

Seafood Expo Global Barcelona, España - 6 al 8 de Mayo

World Seafood Shanghai

Shanghai, China - 27 al 29 de Agosto

Seafood Expo Asia

Singapur - 10 al 12 de Septiembre

Conxemar

Vigo, España - 7 al 9 de Octubre

China Fisheries and Seafood Expo

Qingdao, China - 29 al 31 de Octubre

World Seafood Shanghai 2018, Shanghai, China
Seafood Expo Global 2024, Barcelona, España
Gulfood 2025, Emiratos Árabes

ARTÍCULOS TÉCNICOS ÍNDICE

Edición 163 - Febrero 2025

El camarón Penaeus vannamei sobrevive a la infección por el virus del Síndrome de la Mancha Blanca mediante fiebre conductual

Estado metabólico e inmunológico del camarón blanco del Pacífico Penaeus vannamei en relación con las condiciones de cultivo

Desbloquee todo el potencial de su laboratorio con microalgas vivas enriquecidas

La suplementación de ácidos biliares en la dieta mejora la sobrevivencia y respuesta inmune de Penaeus vannamei

Principios sobre la calidad de agua en la acuicultura del camarón

El camarón Penaeus vannamei sobrevive a la infección por el virus del Síndrome de la Mancha Blanca mediante fiebre

conductual

Autores:

Mostafa Rakhshaninejad*

Liping Zheng

Hans Nauwynck

Laboratorio de Virología, Departamento de Fisiología Traslacional, Infectología y Salud Pública, Facultad de Medicina Veterinaria, Universidad de Gante, Salisburylaan 133, 9820 Merelbeke, Bélgica.

mostafa.rakhshaninejad@ugent.be https://doi.org/10.1038/s41598-023-45335-5

Los organismos endotermos y ectotermos pueden elevar su temperatura corporal cuando se infectan con patógenos para limitar su replicación. En los endotermos, esta reacción fundamental a la infección se conoce como fiebre1. Depende principalmente de la termogénesis, así como de alteraciones fisiológicas y conductuales que limitan la pérdida de calor del cuerpo. Salvo unas pocas excepciones raras, los ectotermos carecen de termogénesis endógena y mantienen una temperatura corporal que es muy similar a la de su entorno2. Cuando se colocan en un gradiente de temperatura, los ectotermos no infectados eligen un rango específico de temperatura preferida para su especie3. Sin embargo, si un ectotermo se infecta o se le inyectan pirógenos exógenos, puede elevar su temperatura corporal más allá de su rango preferido al moverse hacia ambientes más cálidos. Este fenómeno se conoce como “fiebre conductual” y describe la aparición de un aumento abrupto en la temperatura que prefiere el animal para realizar sus funciones vitales, conocido como “preferendum” térmico final resultante de una infección3,4. Vaughn et al. aportaron con la primera descripción de la fiebre conductual en ectotérmicos, mostrando que las iguanas del desierto (Dipsosaurus dorsalis) inyectadas con Aeromonas hydrophila inactivada mostraron una tendencia a moverse hacia ambientes más cálidos5. Esta respuesta conductual condujo a un aumento de aproximadamente 2 °C en la temperatura corporal de la iguana5. Hay ejemplos de fiebre conductual en una variedad de ectotérmicos, incluidos vertebrados (reptiles5–7, peces8–10, anfibios11–13) e invertebrados14,15

Los mecanismos detrás de la regulación conductual de la fiebre en ectotérmicos comparten conexiones evolutivas con la fiebre en endotérmicos1,3: (i) los pirógenos exógenos actúan como inductores, (ii) el área preóptica del hipotálamo tiene un papel significativo como sitio para integrar señales pirogénicas, y (iii) las prostaglandinas son mediadores efectores. Los estudios han determinado que este vínculo evolutivo también abarca los pirógenos endógenos, como las citocinas que envían señales al cerebro cuando las células inmunes reconocen los pirógenos exógenos. Se ha descubierto que las citocinas, en particular la interleucina 1β (IL-1β), la IL6 y los

interferones en los endotermos, y el factor de necrosis tumoral α (TNF-α) tanto en los endotermos como en los ectotermos, actúan como pirógenos endógenos3,16,17.

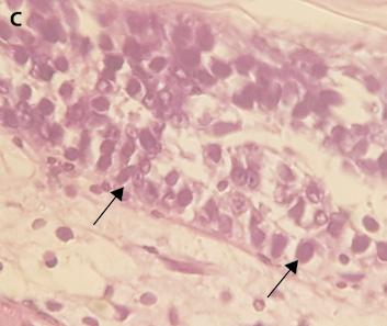
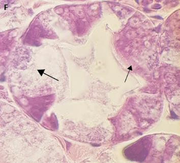
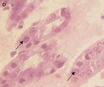
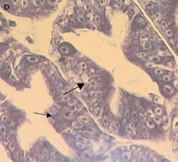
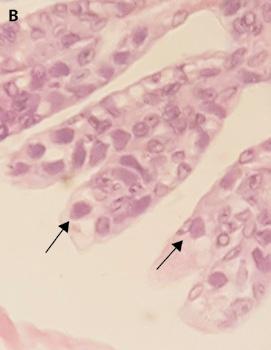
Durante más de una década, el virus del Síndrome de la Mancha Blanca (WSSV) ha causado enfermedades y mortalidad en las camaroneras, lo que ha provocado pérdidas sustanciales en la producción. El WSSV es un virus de ADN de doble cadena (ds) que pertenece a la familia Nimaviridae y se caracteriza por ser un virus baciliforme y envuelto18–20. La tasa de mortalidad del camarón infectado con el WSSV es del 100% en un plazo de 3 a 10 días21. La infección por WSSV se caracteriza por letargo, anorexia, manchas blancas en el caparazón, hinchazón de los branchiostegites y decoloración rojiza21,22.

El Síndrome de la Mancha Blanca (WSS) es la última consecuencia de las interacciones huésped-patógeno-ambiente23,24. La temperatura del agua se considera uno de los elementos ambientales clave, ya que afecta el crecimiento, metabolismo, supervivencia, consumo de oxígeno, la muda, la resistencia a compuestos tóxicos y la tasa de alimentación del camarón25-27. Dependiendo de la etapa de vida y la especie, el camarón requiere diferentes temperaturas para la supervivencia y el crecimiento. La temperatura óptima para los P. vannamei pequeños que pesan menos de 5 g es más de 30 °C, mientras que la temperatura óptima para los camarones más grandes que pesan 16 g es de aproximadamente 27 °C25,28. Se ha descubierto que el rango de temperatura de 20 a 30 °C da como resultado la mayor supervivencia de los juveniles de P. vannamei26. Los camarones peneidos juveniles muestran una tolerancia máxima a la temperatura de 34 a 36 °C, más allá de la cual no pueden sobrevivir29.

El impacto de la temperatura en los resultados de la infección por WSSV se ha registrado anteriormente. Las estaciones más cálidas en regiones tropicales como Tailandia y Ecuador han dado como resultado una disminución en la incidencia del WSS30,31. Además, los crustáceos infectados con WSSV mantenidos a temperaturas de agua bajas (12–15 °C) (cangrejo de río Astacus astacus, camarón peneido Penaeus

japonicus y/o el cangrejo de río Pacifastacus leniusculus) o altas (> 32 °C) (Penaeus japonicus o Penaeus vannamei) mostraron una muerte reducida/retardada28,32–34. Se ha demostrado que la temperatura tiene un impacto en los resultados de la infección viral en algunas otras especies ectotérmicas, incluidos los insectos y los peces. Los ejemplos incluyen infecciones resultantes de un nucleopoliedrovirus de Bombyx mori (NPV), un herpesvirus de la carpa koi (KHV) y un virus de la lubina de boca grande (LMBV)35–37.

El mecanismo por el cual la temperatura elevada del agua conduce a una disminución en la mortalidad de P. vannamei infectado con WSSV no se entiende bien. Se ha propuesto que las temperaturas elevadas pueden iniciar una reacción de defensa del huésped que resulta en la apoptosis de las células infectadas. Sucesivamente, podría obstaculizar la replicación de WSSV32,38. Se demostró una reducción en el contenido de ADN de WSSV en camarones infectados con WSSV a 32 °C39. En células madre hematopoyéticas de P. leniusculus cultivadas in vitro a temperaturas de 4 °C y 16 °C, la replicación de WSSV y la cantidad de ADN de WSSV disminuyeron significativamente40.

El objetivo de este estudio fue mostrar la aparición de fiebre conductual en camarones inoculados con WSSV y evaluar su impacto potencial en la supervivencia animal. Esto se logró utilizando un sistema de cuatro compartimentos con un gradiente térmico para observar el comportamiento térmico de los camarones infectados después de la inoculación del virus. El movimiento y la mortalidad de los camarones infectados se monitorearon durante un período de tiempo para validar los resultados. Además, el estudio investigó el efecto de las temperaturas elevadas en la replicación del WSSV en un entorno in vitro.

Resultados:

Efecto de la temperatura de incubación en la viabilidad de las células primarias de los órganos linfoides

Se evaluó la viabilidad de las células primarias de los órganos linfoides del camarón durante el cultivo a diferentes temperaturas utilizando tinción EMA. Las células primarias de los órganos linfoides del camarón se co-tiñeron

con EMA y Hoechst para la determinación de la viabilidad de la célula a los 0, 2 y 4 días posteriores a la incubación a 27 °C, 29 °C, 31 °C y 33 °C (Fig. 1). Después de 4 días de cultivo, no hubo una disminución significativa (valor p > 0.05) en la viabilidad celular incubada a temperaturas no óptimas (29 °C, 31 °C y 33 °C) en comparación con la temperatura óptima (27 °C) para el cultivo de células primarias de camarón.

Efecto de la temperatura de incubación sobre la replicación del WSSV en células primarias de órganos linfoides

Se evaluó la replicación del WSSV en cultivos de células primarias de órganos linfoides de camarón a diferentes temperaturas. El porcentaje de las células infectadas con WSSV incubadas a 27 °C, 29 °C, 31 °C y 33 °C se evaluó a las 0, 24, 48 y 72h posteriores a la inoculación (Fig. 2). El porcentaje de células de órganos linfoides primarios de camarón infectadas con WSSV incubadas a 31 °C y 33 °C disminuyó significativamente (valor p < 0.05) en comparación con el porcentaje de células infectadas con WSSV incubadas a 27 °C y 29 °C a las 72h posteriores a la inoculación.

Evolución temporal de la replicación del virus en células primarias de órganos linfoides evaluada mediante PCR cuantitativa

La evolución temporal de la replicación del WSSV se evaluó mediante PCR cuantitativa en cultivos de células primarias de órganos linfoides de camarón a diferentes temperaturas. El número de copias de ADN del WSSV en células infectadas y en el sobrenadante de cultivos de órganos linfoides primarios de camarón incubados a 27 °C, 29 °C, 31 °C y 33 °C se evaluó a las 0, 24, 48 y 72 h posteriores a la inoculación (Fig. 3). El número de copias del WSSV tanto en células como en el sobrenadante disminuyó significativamente (valor p < 0.05) a 29 °C, 31 °C y 33 °C en comparación con el número de copias del WSSV a 27 °C a las 72h posteriores a la inoculación. No se encontró WSSV en células no inoculadas ni en células inoculadas de forma simulada.

Monitoreo del comportamiento térmico de camarones juveniles en respuesta a la infección por WSSV

Se monitoreó a lo largo del tiempo la

distribución y mortalidad de los camarones en los cuatro compartimentos, ya sea a 27 °C en las cuatro cámaras o en un gradiente térmico (27–29–31–33 °C) (Fig. 4). Un total de 48 camarones Penaeus vannamei sanos, con un peso promedio de 15±0.5 g, se dividieron equitativamente en (i) un grupo inoculado con WSSV mantenido a 27 °C en el sistema de cuatro compartimentos (4-CS) (n=12) y (ii) un grupo inoculado con WSSV (n=12), (iii) un grupo infectado simuladamente (n=12), y (iv) un grupo no inoculado (n=12) mantenido en el gradiente térmico. Cada ensayo se repitió tres veces para verificar la reproducibilidad de los resultados. Durante los primeros 4 días posteriores a la inoculación, los animales inoculados con WSSV se distribuyeron de manera uniforme en los compartimentos cuando todos los compartimentos se mantuvieron a 27 °C. En el caso de los animales infectados con WSSV mantenidos en un gradiente de temperatura, se observó un movimiento hacia los compartimentos más cálidos, mientras que este no fue el caso con los animales inoculados simuladamente y no inoculados.

Los camarones infectados con WSSV mantenidos en el 4-CS con un gradiente térmico mostraron una temperatura media preferida más alta de 28.6 a 30.9 °C en comparación con los camarones no inoculados y simulados mantenidos en el 4-CS con un gradiente térmico a los 4 días posteriores a la inoculación. Las veinticuatro horas posteriores a la inoculación con el virus del Síndrome de la Mancha Blanca se reconocieron como el punto de inicio de la fiebre conductual en los camarones. La comparación de las medias de las temperaturas preferidas de los camarones infectados con WSSV mantenidos en el 4-CS con un gradiente térmico con las medias de las temperaturas preferidas de los camarones no inoculados y simulados mantenidos en el 4-CS con un gradiente térmico a lo largo del tiempo, demostró un aumento significativo continuo en la temperatura preferida de los camarones a partir de las 24 h posteriores a la inoculación.

Se monitoreó mediante observación directa el número de camarones muertos en los diferentes grupos (camarones infectados con WSSV, simulados y no infectados) y en los diferentes compartimentos. Durante los

Viabilidad (%)

Tiempo (día de incubación)

Figura 1. Efecto de la temperatura de incubación sobre la viabilidad de cultivos de células primarias de órganos linfoides. (a) Células primarias de órganos linfoides de camarón co-teñidas con Hoechst (azul) y EMA (rojo) para viabilidad a los 0, 2 y 4 días de cultivo (doc) a 33 °C. Control positivo: células muertas por incubación a 56 °C durante 30 min. Barra de escala = 200 μm. (b) Porcentaje de células de órganos linfoides primarios de camarón viables a 27 °C, 29 °C, 31 °C y 33 °C a los 0, 2 y 4 días de cultivo. Los resultados se presentan como la media de tres experimentos independientes ± desviación estándar (s.d.). Se realizó un análisis de varianza unidireccional (ANOVA) seguido de la prueba post hoc de Tukey para determinar la significancia estadística (n=36). No se observó una disminución significativa (F11,24 = 1.01, valor p > 0.05) en la viabilidad de las células incubadas a temperaturas no óptimas (29 °C, 31 °C y 33 °C) en comparación con la temperatura óptima (27 °C) para el cultivo de células primarias de camarón, después de 4 días de cultivo.

Infectividad (%)

Tiempo (día de incubación)

Figura 2. Efecto de la temperatura de incubación en la replicación del WSSV en cultivos de células primarias de órganos linfoides. (a) Tinción de inmunofluorescencia indirecta (IFI) de WSSV VP28 en cultivos de células de órganos linfoides primarios de P. vannamei a las 0, 24, 48 y 72 h posteriores a la inoculación a 27 °C. Azul: tinción Hoechst para núcleos; Verde: 1D3 y anticuerpo de cabra antiIgG de ratón con FITC: tinción para WSSV VP28. Barra de escala = 50 μm. (b) Porcentaje de células de órganos linfoides primarios de camarones infectadas con WSSV incubadas a 27 °C, 29 °C, 31 °C y 33 °C a las 0, 24, 48 y 72h posteriores a la inoculación. Los resultados se presentan como la media de tres experimentos independientes ± desviación estándar del porcentaje de células de órganos linfoides primarios de camarones infectadas con WSSV incubadas a 27 °C, 29 °C, 31 °C y 33 °C a lo largo del tiempo. Se realizó un análisis de varianza unidireccional (ANOVA) seguido de la prueba post hoc de Tukey para examinar la significancia estadística. Los asteriscos indican diferencias significativas (*F15,32 = 65.5, valor p < 0.05) entre 27 °C y las otras temperaturas a las 72 hpi (n=48; n=12 en cada punto temporal).

primeros 4 días posteriores a la inoculación, se observó una mortalidad del 94% entre los camarones infectados con WSSV cultivados en el 4-CS con una temperatura fija (27 °C), mientras que solo se observó una mortalidad del 28% entre los camarones cultivados en el 4-CS con un gradiente de temperatura donde podían seleccionar la temperatura de preferencia. La infección con WSSV en animales muertos se confirmó mediante tinción IIF del tejido del cefalotórax contra la proteína viral VP28 del WSSV. No se observó mortalidad entre los camarones inoculados simuladamente y los no inoculados cultivados en el 4-CS con un gradiente de temperatura durante los primeros 4 días posteriores a la inoculación.

Discusión:

Este estudio revela que el camarón Penaeus vannamei se beneficia de la fiebre conductual en respuesta a la infección por el virus del Síndrome de la Mancha Blanca. Nuestros hallazgos muestran que la fiebre conductual aumenta la tasa de supervivencia del camarón mediante el movimiento transitorio del camarón a lugares más cálidos. Además, la investigación actual muestra un efecto inhibidor directo de la alta temperatura en la replicación del WSSV en condiciones in vitro. Nuestra data resalta la importancia de la interacción patógeno-huésped-ambiente en la acuicultura.

Dependiendo del entorno, la infección por WSSV puede generar una mortalidad extrema de hasta el 100% en 3 a 10 días21. El WSSV puede replicarse en huéspedes susceptibles como camarones, cangrejos de río y cangrejos, a temperaturas entre 16 y 32 °C28,33,34,40. En nuestro laboratorio se demostró previamente que aumentar la temperatura del agua de 27 a 33 °C puede detener la replicación del virus y la enfermedad/mortalidad en camarones infectados con WSSV en la etapa aguda de la infección antes de que aparezcan los signos clínicos28,41,42. Aquí ampliamos estos hallazgos al mostrar la capacidad de los camarones de emplear la preferencia térmica al moverse hacia temperaturas más altas para reducir los efectos letales del virus. La temperatura preferida de muchos animales, incluidos los endotermos y ectotermos, aumenta después de una inyección de sustancias pirogénicas.

Copias de ADN del WSSV intracelular

Copias de ADN de WSSV (log10/m)

Copias de ADN del WSSV extracelular

Copias de ADN de WSSV (log10/m)

Tiempo (horas después de la inoculación) Tiempo (horas después de la inoculación)

Figura 3. Evolución temporal de la replicación del virus en las células primarias de los órganos linfoides, evaluada mediante PCR cuantitativa. Copias de ADN del WSSV en las células de los órganos linfoides primarios de camarón infectadas con WSSV (copias de ADN intracelular (a)) y en el sobrenadante (copias de ADN extracelular (b)) incubadas a 27 °C, 29 °C, 31 °C y 33 °C a las 0, 24, 48 y 72 h posteriores a la inoculación. Los resultados se presentan como la media de tres experimentos independientes ± desviación estándar del número de copias de genomas del WSSV en los cultivos de células de los órganos linfoides primarios de camarón infectadas con WSSV incubadas a 27 °C, 29 °C, 31 °C y 33 °C a lo largo del tiempo. Límite de detección ≤ 101.7 copias/ml. La significancia estadística se determinó mediante un análisis de varianza unidireccional (ANOVA) seguido de la prueba post hoc de Tukey. (a) Los asteriscos indican una diferencia significativa (*F3,44 = 966.8, valor p <0.05) entre 27 °C y las otras temperaturas a 72 hpi (n=192; n=48 en cada punto temporal). (b) Los asteriscos indican una diferencia significativa (*F3,44 = 211.2, valor p < 0.05) entre 27 °C y las otras temperaturas a 72 hpi (n=192; n=48 en cada punto temporal).

Nuestros resultados son paralelos a otros estudios que se han realizado sobre la fiebre conductual en crustáceos. Según Casterlin y Reynolds43, la inyección de bacterias inactivadas de Aeromonas hydrophila en el abdomen o las cámaras branquiales de cangrejos de río Cambarus bartoni provocó un aumento de 1.8 °C por encima de la temperatura preferida de 22.1 °C. La adición de paracetamol (acetaminofén) al agua inhibió esta preferencia, como reportaron Reynolds et al.44. Además, cuando se inyectó prostaglandina E1 como factor productor de fiebre en el hemocele de Homarus americanus, Cambarus bartoni y Penaeus duorarum, la temperatura preferida aumentó 4.7 °C, 3.4 °C y 4.5 °C, respectivamente, durante un período de 24 h45,46. Esto concuerda con nuestro estudio que indicó un aumento de 2.4 °C en la temperatura preferida media de los camarones infectados con WSSV mantenidos en el 4-CS con un gradiente térmico a los 4 días posteriores a la inoculación.

Las temperaturas febriles pueden afectar

negativamente el crecimiento de patógenos invasivos47,48. Nuestro estudio demuestra claramente que la alta temperatura de incubación inhibió la replicación del ADN del virus y la síntesis de la proteína de envoltura VP28 in vitro. Se ha demostrado que las mutaciones en una supuesta ARN polimerasa35 o proteína quinasa-149 limitan la expresión de componentes virales tardíos, incluidas las proteínas de envoltura, en baculovirus mutantes sensibles a la temperatura a altas temperaturas. Estos resultados sugieren que las altas temperaturas pueden influir en la actividad enzimática de los virus dsADN durante la fase de replicación temprana. En el caso del WSSV, se desconoce si las altas temperaturas del agua perjudican las enzimas. Esto debe investigarse con pruebas bioquímicas. Nuestro estudio in vitro utilizando células primarias del órgano linfático del camarón mostró que las altas temperaturas como 31 °C y 33 °C no afectan negativamente la viabilidad de las células huésped durante al menos 4 días, mientras que la replicación del ADN del WSSV disminuyó claramente. Este

estudio confirmó la influencia perjudicial de la alta temperatura en la replicación del ADN del WSSV.

Estudios previos demostraron que las altas temperaturas tienen un efecto perjudicial sobre la replicación del WSSV in vivo28,32. A 33 °C, los signos clínicos estaban ausentes y las mortalidades se redujeron a un nivel cero28,42,50. Además del efecto directo sobre la inhibición de la reproducción microbiana, la elevación de la temperatura del cuerpo durante la fiebre conductual también puede mejorar el rendimiento del sistema inmunológico al estimular la inmunidad innata. La apoptosis se considera una respuesta inmune innata que contribuye a la respuesta antiviral de los invertebrados51 Granja et al. reportaron una mayor tasa de supervivencia resultante de un aumento sustancial en el porcentaje de células apoptóticas en Penaeus vannamei infectado con el virus del Síndrome de la Mancha Blanca mantenido a 32 °C en contraste con el camarón infectado mantenido a 26 °C38,39. Esto sugiere que la alta temperatura del agua estimula la apoptosis y, como resultado, puede reducir la replicación viral. Esto permitiría al camarón sobrevivir y controlar la enfermedad32,39. Estos estudios concuerdan con nuestros hallazgos que muestran una inhibición de la replicación del virus in vivo tras la migración hacia aguas más cálidas. Sin embargo, considerando nuestros estudios in vitro sobre la viabilidad celular y la replicación del WSSV, nuestros resultados socavaron el papel de la apoptosis en la reducción de la replicación del WSSV. Nuestros resultados mostraron que las temperaturas más altas no afectan significativamente la viabilidad celular durante al menos 4 días, mientras que las temperaturas más altas obstaculizaron significativamente la capacidad del WSSV para replicarse. Nuestro hallazgo demostró que otros factores, más allá de la muerte de la célula huésped, están involucrados en la supresión de la infección por el WSSV a temperaturas más altas. Se requieren más estudios para investigar el mecanismo exacto del sistema inmunológico innato del camarón durante la fiebre conductual.

Según Rahman et al., aumentar la temperatura a 33 °C no redujo la mortalidad, o al menos fue menos eficiente en camarones

Temperatura constante inoculados con WSSV

Gradiente de temperatura inoculados con WSSV

Figura 4. Monitoreo del comportamiento térmico en respuesta a la infección por WSSV en tanques multicámara. Distribución, mortalidad acumulada y temperatura preferida de los camarones inoculados con WSSV en el 4-CS mantenido a 27 °C y de los camarones sanos (no inoculados), inoculados simuladamente e inoculados con WSSV en los cuatro compartimentos criados en el 4-CS con gradiente térmico (27–29–31–33 °C). Los resultados de la distribución y mortalidad de los camarones se presentan como la media de tres ensayos independientes ± desviación estándar del número de camarones vivos y muertos observados cada 3h en cada compartimento. No se observó mortalidad entre los camarones no inoculados y los inoculados simuladamente cultivados en el 4-CS con un gradiente de temperatura durante los primeros 4 días posteriores a la inoculación. Se observó una mortalidad del 94% entre los camarones inoculados con WSSV cultivados en el 4-CS con temperatura fija (27 °C) durante los primeros 4 días posteriores a la inoculación. Se observó una mortalidad del 28% entre los camarones inoculados con WSSV cultivados en el 4-CS con un gradiente de temperatura durante los primeros 4 días posteriores a la inoculación. Los resultados de temperatura preferida se presentan como la media de la temperatura preferida de los camarones vivos en cada momento. Para determinar la significancia estadística, se realizó un análisis de varianza unidireccional (ANOVA) seguido de la prueba post hoc de Tukey. Los asteriscos indican una diferencia significativa (*F65,231=21.9, valor p <0.05) en la temperatura media preferida de los camarones inoculados con WSSV mantenidos en el 4-CS con un gradiente térmico en comparación con la temperatura media preferida de los camarones no inoculados y los que recibieron una inoculación simulada mantenidos en el 4-CS con un gradiente térmico durante un período de 96 h posteriores a la inoculación (n=297).

Comportamiento en aparición de fiebre
Tiempo (horas posteriores a la inoculación)
Tiempo (horas posteriores a la inoculación)
Tiempo (horas posteriores a la inoculación) Tiempo (horas posteriores a la inoculación)
Gradiente de temperatura no inoculada
Gradiente de temperatura inoculada simulada

que ya habían sido infectados con el WSSV durante 24 h a 27 °C. Esto se debe al hecho de que el virus ya se había vuelto sistémico a las 24 h posteriores a la infección22,24,42, causando daño tisular irreversible. Nuestros resultados demuestran un inicio temprano y efectivo de la fiebre conductual antes de las 24 hpi mediante movimientos activos hacia las temperaturas más altas antes de que el virus se vuelva sistémico.

Nuestros resultados muestran que la temperatura preferida en los camarones se puede aumentar temporalmente, y que este aumento puede inhibir eficazmente la infección viral y ayudar al animal a sobrevivir. Además de los beneficios de la temperatura alta del agua para prevenir la infección viral, la temperatura alta tiene un efecto negativo en algunas variables ambientales importantes para el metabolismo normal del camarón, como las concentraciones de metabolitos tóxicos (por ejemplo, nitritos o amoníaco), los niveles de oxígeno disuelto, la salinidad y la tasa de evaporación52–54. Este estudio demostró que los camarones, al aumentar su temperatura media preferida de 29.3 a 30.9 °C, pueden aumentar su porcentaje de supervivencia en un 66% durante un período de 4 días. Nuestros resultados son importantes para el diseño de estanques para camarón. Sería interesante tener varios niveles de temperatura en la orilla (Fig. 5). Esto permitirá que el animal migre al nivel superior con una temperatura aumentada y permanezca allí para curarse de su infección viral. Es importante mantener la temperatura en el nivel superior entre 31 y 33 °C.

Las bajas temperaturas del agua también pueden reducir la replicación del virus, pero esta reducción también puede conducir a una mayor susceptibilidad a otros tipos de infecciones y enfermedades32–34. Se ha demostrado que las bajas temperaturas del agua reducen la actividad del sistema inmunológico del camarón, haciéndolos más susceptibles a las infecciones y vulnerables a las enfermedades55,56. En el futuro, sería interesante investigar si el camarón puede exhibir una respuesta diferente a la fiebre conductual (es decir, buscar agua más fría) cuando se enfrenta a ciertos patógenos, y si esta respuesta puede proporcionar una ventaja al individuo infectado.

En este estudio, se demuestra claramente

Figura 5. Estratificación térmica en un estanque de camarones de 1.5 a 2 m de profundidad. (a) Borde convencional de un estanque de camarón. (b) Nuevo diseño de un borde en un estanque de camarones.

que la fiebre conductual es expresada por el camarón con el fin de aumentar la capacidad de supervivencia contra un patógeno viral. Sin embargo, en los ectotérmicos invertebrados a diferencia de los ectotérmicos vertebrados, el mecanismo exacto de aparición de la fiebre conductual no está claro. La fiebre de los endotérmicos y la fiebre conductual de los vertebrados ectotérmicos comparten mecanismos evolutivamente conservados3. El área preóptica (POA) del cerebro de los vertebrados contribuye a la termorregulación y la inducción de fiebre en vertebrados endotérmicos y fiebre conductual de vertebrados ectotérmicos57 En los invertebrados, a diferencia de los vertebrados, no existe un hipotálamo. Los camarones peneidos poseen un solo cordón nervioso ventral que conecta ganglios a lo largo de sus segmentos corporales58. El sistema nervioso periférico de los crustáceos parece poseer la capacidad de detectar cambios de temperatura y ajustarse a ellos a través de la aclimatación térmica, sin la participación del sistema nervioso central en el control del comportamiento59. Se requiere más investigación para estudiar el mecanismo exacto que controla la sensación de temperatura, la termorregulación y la fiebre conductual en los crustáceos.

En resumen, este estudio tuvo como objetivo demostrar que los camarones expresan fiebre conductual en el contexto de un proceso fisiológico impulsado por cambios conductuales que resultan en una mayor supervivencia del huésped, principalmente a través de la inhibición de la replicación del virus. Estos hallazgos indican que la fiebre conductual, como una respuesta inmune innata, puede inhibir la virulencia de los patógenos que infectan al

camarón. La temperatura alta del agua en una determinada zona del estanque puede aplicarse en sistemas cerrados de cultivo de camarones para controlar el WSSV. Se necesitan más investigaciones para comprender por completo la relación entre la fiebre conductual y los diferentes patógenos en los camarones con el fin de desarrollar estrategias para controlar las enfermedades en la industria de la acuicultura del camarón. En conclusión, este estudio demuestra que la expresión de una respuesta febril llamada fiebre conductual es utilizada por los camarones para producir una temperatura elevada cuando se infectan con el WSSV mediante la migración transitoria a áreas más cálidas. La fiebre conductual los protege y aumenta su capacidad de supervivencia.

Materiales y métodos:

Camarones

Se recibieron camarones Penaeus vannamei SPF con un peso de 15±0.5 g de IMAQUA bv, Lochristi, Bélgica. Los camarones se cultivaron durante 2 semanas en un sistema de recirculación en el Laboratorio de Virología, Facultad de Medicina Veterinaria, Universidad de Gante, Bélgica. La temperatura del agua se mantuvo a 27 °C. Se preparó agua de mar con una salinidad del 3.2% utilizando sal marina artificial (Instant Ocean, Aquarium Systems, Francia) y agua desionizada. Los camarones se alimentaron con un 2% de su peso promedio con una dieta comercial para camarones todos los días. La calidad del agua se comprobó todos los días midiendo el amoníaco ionizado (Aquamerck, Alemania).

Virus

Para este estudio, se utilizó la cepa Thai-1 del WSSV. El virus se obtuvo originalmente de Penaeus monodon infectado en Tailandia

y posteriormente se transmitió al cangrejo de río Pacifastacus leniusculus. K. Söderhäll (Universidad de Uppsala, Suecia) proporcionó amablemente una suspensión de branquias de cangrejos de río infectados con Thai-1 WSSV. Posteriormente, el virus se propagó en P. vannamei libre de patógenos específicos (SPF) en el Laboratorio de Virología de la Facultad de Medicina Veterinaria de la Universidad de Gante, Bélgica. En resumen, el inóculo Thai-1 WSSV se preparó homogeneizando 50g de caparazones de camarones moribundos infectados con el WSSV sin estómago ni hepatopáncreas en 100 ml de PBS para crustáceos (371.9 ± 25 mM NaCl, 2.7 mM KCl, 2 mM KH2PO4, 8 mM Na2HPO4, con pH: 7.2-7.4 y osmolalidad: 780 mmol/kg) en hielo. El homogeneizado se diluyó 1:10 en PBS para crustáceos y se centrifugó a 3000 g durante 20 min a 4 °C. Luego, se recolectó el sobrenadante y se centrifugó a 13,000 g durante 20 min a 4 °C. El sobrenadante pasó a través de una membrana de 0.45 μm (Sarstedt, Alemania) y se almacenó a -70 °C60. El inóculo simulado se preparó a partir de camarones sanos siguiendo el mismo procedimiento. Utilizando el método descrito por EscobedoBonilla et al.60, se investigaron los títulos de infectividad de las reservas virales. Cuando se inoculó intramuscularmente en P. vannamei SPF, se encontró que la media del título infeccioso de la reserva era 105.8 SID50 (dosis infecciosa de camarones con punto final del 50%) por ml.

Cultivos celulares primarios del órgano linfoide

Para desinfectar los camarones para la disección del órgano linfoide, se sumergieron en una solución de hipoclorito al 4.0% y luego en una solución de etanol al 70% preparada en agua de mar (salinidad del 3.2%). Después de 2 minutos de inmersión en desinfectantes (cada uno durante 1 minuto), los camarones se enjuagaron cinco veces con agua de mar estéril fría. El órgano linfoide, que consta de dos órganos pequeños de forma ovoide ubicados entre el borde lateral del estómago y el lado anterior del hepatopáncreas, se diseccionó y se enjuagó cuatro veces con medio HaNaMoRa (número de solicitud de patente PCT/EP2023/051493, fecha de presentación 23/01/2023) antes de cortarlo en explantos (pequeñas porciones de tejidos) de 0.5 mm3. Luego, los explantos se colocaron en pocillos de placas de 24

unidades (que contenían un cubreobjetos de vidrio recubierto con gelatina al 0.1 %) con 1 ml de medio de cultivo celular HaNaMoRa por pocillo. Los cultivos se mantuvieron en una incubadora a 27 °C y se observaron diariamente utilizando un microscopio invertido. Cada 3 días, se reemplazó la mitad del medio de cultivo. Para separar y subcultivar las células en crecimiento después de 10 días posteriores a la siembra, se utilizó 1.5 mg/ml de colagenasa IV más 3 mM de CaCl2 disuelto en PBS para crustáceos. Después de la extracción de los explantos, las células se recogieron por centrifugación a 400 g durante 10 min. El pellet celular se resuspendió en 1 ml de medio de cultivo fresco. El recuento celular se realizó utilizando una cámara de recuento Bürker-Türk. Finalmente, se sembraron 1.1 × 105 células en cada pocillo de placas de 24 pocillos que contenían un cubreobjetos de vidrio recubierto con gelatina al 0.1%.

A las 24 h posteriores a la siembra, los cultivos celulares estaban listos para evaluar la viabilidad de las células y determinar su susceptibilidad a la infección por WSSV.

Viabilidad de las células en cultivos de células primarias de órganos linfoides

Se evaluó la viabilidad de las células en cultivos de células primarias de órganos linfoides de camarón a diferentes temperaturas utilizando tinción EMA (Ethidium Monoazide) con excitación/ emisión de aproximadamente 504/600 nm. Las células subcultivadas se incubaron a 27 °C, 29 °C, 31 °C o 33 °C y la viabilidad celular se evaluó a los 0, 2 y 4 días de cultivo (n=36; n=12 en cada punto de tiempo). Los cultivos celulares se sometieron a los siguientes pasos para evaluar el porcentaje de células viables utilizando tinción EMA: (i) incubación con 200 μl de solución EMA (20 μg/ml en medio, Invitrogen) en hielo y en la oscuridad durante 30 min, (ii) exposición a luz brillante en hielo durante 10 min, (iii) fijación con 500 μl de paraformaldehído al 4% durante 10 min, (iv) incubación con 200 μl de solución Hoechst (10 μg/ml en PBS, Sigma Aldrich) durante 10 min, y (v) enjuague una vez con PBS y una vez con agua ultrapura. Se utilizó microscopía de fluorescencia para examinar las muestras (Leica Thunder, Alemania).

Cuantificación de células cultivadas inmunopositivas para el antígeno VP28 del WSSV

Se evaluó la infección por WSSV en cultivos de células primarias de órganos linfoides de camarón a diferentes temperaturas utilizando tinción de inmunofluorescencia indirecta (IFI). Las células primarias se subcultivaron después de 10 días de incubación a 27 °C. Las células subcultivadas en placas de 24 pocillos (que contenían un cubreobjetos de vidrio recubierto con gelatina al 0.1 %) se inocularon con 250 μl de 105.8 SID50 ml−1 de Thai-1 WSSV o inóculo simulado y se incubaron a 27 °C durante 1 h. Después de 1 h de incubación, se descartó el inóculo y los pocillos se enjuagaron tres veces con medio de cultivo fresco. Se añadió un mililitro de medio HaNaMoRa a cada pocillo de una placa de 24 pocillos y las células se incubaron posteriormente a diferentes temperaturas: 27 °C, 29 °C, 31 °C y 33 °C. El porcentaje de células del órgano linfático primario del camarón infectadas con WSSV incubadas a 27 °C, 29 °C, 31 °C y 33 °C se evaluó a las 0, 24, 48 y 72 h posteriores a la inoculación. Los cultivos de células primarias del órgano linfático del camarón no inoculadas (n=48; n=12 en cada punto temporal), inoculadas simuladamente (n=48; n=12 en cada punto temporal) e inoculadas con WSSV (n=48; n=12 en cada punto temporal) se fijaron utilizando metanol al 100 % a -20 °C durante 20 min. Las células se enjuagaron tres veces durante 5 min con PBS y se incubaron con 3.5 μg ml−1 del anticuerpo monoclonal 1D3 (AbClon Inc., Corea del Sur) dirigido contra el antígeno viral VP2861 del WSSV durante 1h a 37 °C. Luego, las células se enjuagaron con PBS y se incubaron con un anticuerpo de cabra anti-IgG de ratón conjugados con isotiocianato de fluoreceína (FITC) (F2761, Molecular Probes, Países Bajos) durante 1h a 37 °C. Finalmente, las células se enjuagaron con PBS, se lavaron con agua ultrapura y se analizaron mediante microscopía de fluorescencia.

PCR cuantitativa de WSSV con cultivos de células primarias

Se evaluó el curso temporal de la replicación del WSSV mediante PCR cuantitativa en cultivos de células primarias de órganos linfoides de camarón a diferentes temperaturas. Las células primarias se subcultivaron después de 10 días de incubación a 27 °C. Las células subcultivadas en placas de 24 pocillos (que contenían un cubreobjetos de vidrio recubierto con gelatina al 0.1%) se inocularon con 250 μl

de 105.8 SID50 ml−1 de Thai-1 WSSV o inóculo simulado a 27 °C durante 1h. Después de tres lavados con medio de cultivo frío, se añadió 1 ml de medio de cultivo fresco a cada pocillo y las células se incubaron nuevamente a 27 °C, 29 °C, 31 °C y 33 °C. Se evaluó el curso temporal de replicación de WSSV en células de órganos linfoides primarios de camarón no inoculadas (n=192; n=48 en cada punto temporal), inoculadas simuladamente (n=192; n=48 en cada punto temporal) e inoculadas con WSSV (n=192; n=48 en cada punto temporal) incubadas a 27 °C, 29 °C, 31 °C y 33 °C a las 0, 24, 48 y 72 h posteriores a la inoculación. Los cultivos de células primarias de órganos linfoides de camarón y el medio de cultivo sobrenadante se utilizaron para el aislamiento del ADN. El gen VP19 se utilizó como gen diana para cuantificar el número de genomas virales mediante qPCR a diferentes temperaturas y diferentes puntos temporales después de la inoculación.

Después de la centrifugación a 2000 g durante 10 min, se recuperó el sobrenadante y se almacenó a -70 °C. Las células se rasparon y se mezclaron con las del sobrenadante centrifugado a -70 °C. Se utilizó un kit QIAamp DNA Mini (Qiagen) para extraer ADN de la fracción celular y el sobrenadante. Se utilizó el sitio web Primer3Plus para diseñar primers dentro de una región conservada de la secuencia codificante de VP19. Para cada reacción, se aplicaron 20 μl de mezcla de PCR. Cada mezcla de PCR consistió en 10 μl de PrecisionPLUS 2 × qPCR MasterMix con SYBR Green y ROX (PrimerDesign), 6.5 μl de H2O sin DNasa/RNasa, 50 nM de primer sentido 5′-ATTGGTATCCTCGTCCTGGC-3′, 200 nM de primer antisentido 5′-GTTATCGTTGGCAGTGTCGTC-3′ y 3 μl de ADN de muestra o ADN estándar. La enzima se activó a 95 °C durante 2 min, seguido de 40 ciclos de 15s a 95 °C y 60s a 58 °C. Para obtener curvas de fusión de primera derivada, la mezcla se calentó a 95 °C durante 15s, se enfrió a 60 °C durante 1 min y luego se calentó nuevamente a 95 °C en incrementos de 0.3 °C62,63. Se utilizó un sistema de PCR en tiempo real StepOnePlus (Applied Biosystems) para la amplificación, el monitoreo y el análisis de la curva de fusión. Para preparar estándares de ADN para generar una curva estándar para cuantificación absoluta, se aisló ADN de la cepa Thai-1 de stock del WSSV utilizando un

Figura 6. Sistema de cuatro compartimentos (4-CS) con temperatura fija o con gradiente de temperatura. El 4-CS consistió en cuatro tanques iguales de 25L cada uno (altura × diámetro: 33 × 31cm), conectados con tubos (longitud × diámetro: 18 × 8cm) en el fondo de los tanques con todos los compartimentos a 27 °C (a) o con gradiente térmico (27 ± 0.2 °C–29 ± 0.2 °C–31 ± 0.2 °C–33 ± 0.2 °C) (b).

kit QIAamp DNA Mini (Qiagen). El fragmento de ADN de VP19 se amplificó utilizando los primers mencionados anteriormente. Se preparó una reacción de PCR de 50 μl que incluía 32.75 μl de H2O libre de DNasa/ RNasa, 10 μl de tampón de reacción OneTAQ Standard (New England Biolabs), 0.25 μl de ADN polimerasa OneTAQ (New England Biolabs), 1 μl de cada uno de primers sentido y antisentido mencionados anteriormente, 1 μl de dNTPmix y 4 μl de ADN para amplificar el fragmento de ADN de VP19.

El protocolo de PCR fue de 94 °C durante 30 s seguido de 35 ciclos de 20s a 94 °C, 20s a 55 °C y 60s a 68 °C con un paso de elongación final durante 5 min a 68 °C. Empleando electroforesis en gel de agarosa, los fragmentos con la longitud correcta fueron aislados y limpiados usando un kit de limpieza de PCR y gel Nucleospin (MachereyNagel). La concentración de ADN fue medida utilizando el sistema NanoDrop 2000. Para la generación de la curva estándar, se realizaron diluciones seriadas décuples del ADN en un rango de 8 unidades logarítmicas (109–102) (eficiencia: 98.23%; R2: 0.99).

Diseño de los sistemas de tanques de cámaras múltiples de temperatura Se utilizó un sistema de cuatro compartimentos (4-CS). El 4-CS consistió

en cuatro tanques iguales de 25L cada uno (altura × diámetro: 33 × 31 cm), conectados con tubos (longitud × diámetro: 18 × 8 cm) en el fondo de los tanques (Fig. 6). En el 4-CS, se colocó un calentador en cada tanque para mantener la temperatura deseada (EHEIM Thermocontrol, Alemania). Se estableció un gradiente térmico (27 ± 0.2–29 ± 0.2–31 ± 0.2–33 ± 0.2 °C) entre las cuatro cámaras colocando un calentador en cada cámara para asegurar la temperatura correcta en cada tanque conectado. La temperatura en los cuatro compartimentos se controló mediante mediciones cada 3h. En el 4-CS, la alimentación diaria se realizó dividiendo equitativamente el alimento. La alimentación se realizó en todos los compartimentos al mismo tiempo independientemente del número de camarones en cada compartimento.

Inoculación con WSSV en el ensayo

Se dividieron en partes iguales 48 camarones sanos (Penaeus vannamei) con un peso promedio de 15 ± 0.5 g en un grupo no infectado, un grupo con infección simulada, un grupo infectado con WSSV mantenido en gradiente de temperatura y un grupo infectado con WSSV mantenido a una temperatura fija. En cada grupo, los camarones (n=12) se introdujeron inicialmente en el 4-CS con

las cuatro cámaras a 27 °C. Después de un período de aclimatación de 1 semana, los calentadores se ajustaron para producir un gradiente de temperatura (27–29–31–33 °C) o una temperatura fija (27 °C). En los grupos infectados con WSSV, se inyectó intramuscularmente a los camarones en la unión entre el tercer y cuarto segmento abdominal 50 μl de 105.,8 SID50 ml−1 por camarón de la cepa Thai-1 WSSV. En el grupo de los camarones infectados simuladamente, se inyectaron intramuscularmente 50 μl de inóculo simulado (de suspensión de tejido de camarón sano) a 12 camarones. Cada ensayo se repitió tres veces para comprobar la reproducibilidad de los resultados.

Monitoreo de los movimientos y mortalidad de los camarones

Se monitoreó la distribución y mortalidad de los camarones en los cuatro compartimentos durante 4 días. Los movimientos de los camarones entre compartimentos se monitorearon cada 3 h mediante observación directa. Los resultados se presentan como la media de tres ensayos independientes ± desviación estándar para determinar el número de camarones que ocupaban cada compartimento cada 3 h.

Confirmación de la infección por WSSV (VP28) mediante IIF histológica

Para confirmar las infecciones por WSSV en animales muertos, se realizó una tinción IIF contra la proteína viral VP28 de WSSV. Los camarones muertos y moribundos se retiraron de los compartimentos cada 3 h y se cubrieron con hielo para ralentizar los cambios post mortem y asegurar la eutanasia de los camarones moribundos. Se obtuvieron los cefalotórax de los camarones muertos y sacrificados. Los cefalotórax fueron (i) disecados longitudinalmente, (ii) embebidos en metilcelulosa al 2% y (iii) congelados rápidamente a -70 °C (hielo seco y etanol). Se generaron criosecciones de 12 μm de espesor y se fijaron en metanol al 100 % a -20 °C durante 20 min. Después de lavar las secciones en PBS (tres veces durante 5 min), las secciones se incubaron con 3.5 μg ml−1 del anticuerpo monoclonal 1D3 (AbClon Inc., Corea del Sur) específicamente contra el antígeno viral VP28 de WSSV61 durante 1h a 37 °C. Luego, las secciones se enjuagaron con PBS y se trataron con un anticuerpo de cabra anti-IgG de ratón conjugados con isotiocianato de fluoreceína (FITC) durante 1h a 37 °C. Finalmente, las secciones se enjuagaron con PBS, se lavaron en agua

ultrapura, se dejaron secar y se montaron con una solución que contenía glicerina y 1, 4-diaza-biciclo [2,2,2]-octano (DABCO) (ACROS Organics, EE. UU.). Las secciones se examinaron mediante microscopía de fluorescencia.

Análisis de data

Se utilizó IBM SPSS Statistics para Windows, versión 26 (Armonk, NY: IBM Corp), para realizar un análisis de varianza unidireccional (ANOVA) seguido de la prueba post hoc de Tukey para determinar la significancia estadística. Para todos los análisis, un valor p bilateral <0.05 se consideró estadísticamente significativo. La normalidad de los datos se verificó mediante el uso de la prueba de Shapiro-Wilk. El cociente F y los grados de libertad de cada análisis estadístico se expresaron como Fnumerador-df,denominador-dfl = valor F (numerador-df: grados de libertad entre grupos, denominador-df: grados de libertad dentro de los grupos y valor F: cuadrado medio entre grupos dividido por el cuadrado medio dentro de los grupos). La data se presenta como media de tres experimentos independientes ± desviación estándar (s.d.) en cada punto temporal•

Mortalidad de larvas y postlarvas de camarones en cultivo en América

Autores:

Roberto Jiménez

Rodolfo Barniol

Lourdes de Barniol

ACUATECNOS CÍA. LTD. www.acuatecnosasesores.com

lbarniol@acuatecnos.com

rbarniol@acuatecnos.com

Durante estos años se han realizado más de 12.700 diagnósticos de enfermedades de camarones, que corresponden a un promedio de 8 camarones por diagnóstico, lo que da un total aproximado de 101.600 camarones analizados con la técnica de histopatología. Más de 20 documentos con estos resultados se han publicado en revistas científicas indexadas de EE.UU. y Europa, incluyendo uno sobre la identificación de nuevas especies de patógenos que afectan al camarón de cultivo. Más de una treintena de jóvenes investigadores de Latinoamérica se han formado en nuestro laboratorio, donde han realizado sus tesis de grado, contribuyendo al desarrollo de las ciencias marinas y acuicultura.

La información presentada en este trabajo corresponde a los análisis histopatológicos, microbiológicos y en microscopía electrónica de transmisión (MET) de camarones en cultivo. Por lo antes mencionado, estas investigaciones han estado asociadas a eventos de mortalidad en larvas y postlarvas registrados en los países antes mencionados varios países de América. En este trabajo se incluyen microfotografías en microscopio electrónico de transmisión (MET) de virus y bacterias en los órganos afectados. Es el primer registro de fagos infectando bacterias en tejidos de camarones afectados con mortalidad. Las preguntas básicas sobre eventos de mortalidad en larvas y postlarvas registrados en los países antes mencionados. Además, se incluyen microfotografías en microscopio electrónico de transmisión (MET) de virus y bacterias en los órganos afectados. Es el primer registro de fagos infectando bacterias en tejidos de camarones afectados con mortalidad.

Las preguntas básicas sobre eventos de mortalidad deben tener respuestas. ¿Por qué se registró mortalidad en ciertos tanques y no en todos?, ¿por qué se “fondearon” las larvas de un momento a otro?, ¿por qué no pasaron del estadio larvario de zoea, misis o postlarva?, ¿por qué se presentó mortalidad de postlarvas y juveniles en piscinas?

Desde la fuente de nauplios, fitoplancton, probióticos, alimentos suplementarios y artemia utilizados, hasta los protocolos de producción, deben ser continuamente

adaptados a un rendimiento y calidad predecibles. El uso de un protocolo que fue exitoso para una corrida no asegura que funcione para la siguiente.

Hay que retomar la biología microscópica como herramienta científica para entender el comportamiento de la producción. Estadios larvarios que miden milímetros tienen toda una organización celular con su complejidad funcional. La técnica de histopatología nos permite observar todas las alteraciones celulares que se pueden presentar en su crecimiento y los patógenos asociados. Un patógeno (virus, bacterias, protozoos), mala calidad de agua o un alimento inadecuadamente suministrado pueden originar una enfermedad y el colapso de la producción. La histología permite, por ejemplo, observar en microscopio tejidos de órganos y su mecanismo de defensa celular para contrarrestar el ataque del patógeno, del alimento mal suministrado o de prácticas de manejo inadecuado.

Condiciones asociadas a la calidad de agua y enfermedades en las larvas de camarón En los Laboratorios de larvas, el suministro de agua debería ser de óptima calidad y de zonas sin influencia de contaminantes. Su calidad debe conocerse incluidas las variaciones estacionales. Normalmente los laboratorios están localizados en áreas costeras, que no presentan contaminación, donde el contaje de bacterias raramente excede a 100 UFC/ml. Sin embargo, después de fuertes lluvias y en lugares cercanos a la desembocadura de los ríos, los contajes de bacterias pueden encontrarse entre 1000 y 10000 UFC/ml. Estas bacterias en estado libre (free living) pueden ser potencialmente patógenas para las larvas de camarón. Si un laboratorio registra mortalidades en las etapas iniciales de zoea, el agua del suministro debe ser considerada como una fuente de contaminación. El contaje total de bacterias antes del sembrado en los tanques debe ser menor a 100 UFC/ml y de Vibrio debe ser menor a 10 UFC/ml (1).

En el 2021, en algunos países se registraron floraciones en el mar de diatomeas que segregan mucílago, que a su vez se adhieren a los apéndices y setas de los estadios larvales, lo que impide mudas y origina mortalidad en los tanques de larvas.

Con relación a los reproductores, algunos autores han recomendado una rápida separación de los huevos de los reproductores y de sus heces fecales, tan pronto como ocurre el desove. Se ha comprobado que la transmisión de los patógenos por los reproductores es una de las principales rutas de contagio, como se ha observado para las infecciones virales de Baculovirus penaei (BP), de la Mancha Blanca (WSSV), y de infecciones bacterianas de Vibrio harveyi . El simple lavado de los huevos con agua de mar estéril puede eliminar una gran cantidad de bacterias, evitando la trasmisión horizontal de patógenos de reproductores a huevos y nauplios. Igualmente, hay que controlar el estado de salud de los reproductores de otros patógenos de origen viral, que pueden atravesar el corion o membrana porosa de los huevos, dando lugar a una transmisión vertical.

Síndrome de las Bolitas en zoea 2 por Vibrio harveyi

Vibrio harveyi es una bacteria luminiscente de aguas marinas costeras. Algunas cepas de esta especie son extremadamente patógenas para el camarón en sus estadios de cría. El ambiente acuático en los laboratorios de larvas del camarón no crea patógenos per se, pero si actúa como un ambiente que puede seleccionar y concentrar bacterias patógenas, como cepas virulentas de V. harveyi.

Esto se presenta simplemente porque la bacteria tiene la habilidad de causar enfermedad en larvas y postlarvas, y tiene ventaja sobre otras bacterias que no tienen el potencial de ser patógenas, y en algunos casos son hasta beneficiosas. Las cepas altamente virulentas de V. harveyi pueden causar epizootias devastadoras con 50% a

Fig. 1. A-B. Microfotografía en fresco en menor y mayor aumento de larvas de zoea afectadas por la presencia de “bolitas” (flechas). C-D, cortes histológicos de larvas de zoea en menor y mayor aumento de abundantes células necróticas (flechas) con prominentes núcleos picnóticos y proliferación de hemocitos necróticos (punta de flecha). H&E. Aumentos C. 400x y D.E. 1000x. Corte histológico de células desprendidas del hepatopáncreas las cuales han sido colonizadas por bacterias de coloración negra (flecha) con la tinción de Steiner & Steiner.

100% de mortalidad, con inóculos tan bajos como 100 UFC/ ml.

En 1995, los laboratorios de larvas de camarón registraron mortalidad de las larvas en la etapa de zoea 2. En las revisiones microscópicas en fresco, al mudar de nauplio a zoea 1 no se observaba anomalía alguna y con buena ingestión de alimento, pero al pasar a zoea 2 y durante esta etapa, se observó engrosamiento del epitelio de los túbulos del hepatopáncreas, lo cual evolucionó a una delaminación o descamación de los hepatocitos, con la consiguiente atrofia del hepatopáncreas, lo que determinaba una pobre ingestión de alimento y mortalidad. Esta patología originó mortalidades muy altas en los tanques afectados, que hacían inviable la continuidad de la cría y fue denominada como “Síndrome de las Bolitas”, por estar caracterizada por la delaminación y desprendimiento de las células del hepatopáncreas, las cuales una vez sueltas, en el lumen de los túbulos se desplazan del estómago al intestino observándose “bolitas” al microscopio. Simultáneamente, en algunos casos se reportó una fuerte luminiscencia en las larvas, las cuales presentaron estados de inanición y mortalidad (Fig. 1).

Se observó que en tanques que insistieron en su desarrollo, las postlarvas que sobrevivieron a la epizootia, presentaron infiltración de hemocitos debajo del epitelio intestinal, y en días posteriores pudieron desarrollar estados avanzados de enteritis hemocítica. Este estudio también confirmó que la epizootia de V. harveyi, registrada en las piscinas camaroneras, pudo haber tenido su origen, en parte del desarrollo de esta bacteria en los laboratorios de larvas de camarón, asociada a la infección desde nauplio (a través de las heces fecales de los adultos de maduración) o del agua de mar usada durante los 20 días del ciclo de larvicultura.

Si se sospecha del incremento de bacterias luminiscentes (Fig. 2) y de V. harveyi, es recomendable detectarlas mediante monitoreos en cultivos de agar en medio TCBS o en el medio Agar V. harveyi (VHA) referido en Harris et al., (1), con el cual se puede diferenciar V. harveyi de las otras especies de Vibrio. Adicionalmente

Fig. 2. Microfotografías en varios aumentos (A: 15.000x, B: 25.000X, C: 50.000x) de bacterias luminiscentes aisladas de camarones con mortalidad en piscinas. Las bacterias miden entre 1.10 mm y 1.80 mm. En mayor aumento C. se observa la doble membrana que caracteriza la pared celular (flecha), la membrana celular (punta de flecha), el mesosoma (M) con pequeñas partículas obscuras de ribosomas en su interior. Barra A: 1.3 mm b: 0.8 mm, c: 0.4 mm. Microfotografías en MET por: Dr. Roberto Jiménez.

Fig. 3. A-B. Microfotografía en fresco en menor y mayor aumento de larvas de zoea afectadas por la enfermedad de la Necrosis Aguda Hepatopancreática (AHPND) o Síndrome de Mortalidad Temprana (EMS). Se observa la expansión del hepatopáncreas y procesos de melanosis (flechas).

pueden ser aisladas e identificadas por los kits de sistemas estandarizados de identificación apiRBiomeriux o por otras técnicas convencionales. Mantener el control oportuno de la población bacteriana en los tanques de producción de larvas, puede evitar la proliferación de estas bacterias y pérdidas irreparables en la producción. Un análisis detallado recientemente del Síndrome de las Bolitas ha sido presentado por Intriago et al., (2).

Enfermedad de la Necrosis Aguda Hepatopacreática (AHPND) o Síndrome de Mortalidad Temprana (EMS). A inicios del 2009, en el sureste de China se registró mortalidad masiva de camarones relacionada a una patología llamada Síndrome de Mortalidad Temprana (Early Mortality Syndrome, EMS). Entre el 2010 y 2011 se expandió en más zonas de China, y luego fue registrado en Vietnam, Malasia y Tailandia. La etiología o causa de esta patología fue desconocida hasta 2013, cuando también fue descrita y denominada como enfermedad de la Necrosis Aguda

Hepatopancreática (Acute Hepatopancreatic Necrosis Disease, AHPND).

Desde los primeros diagnósticos se indicó que la enfermedad estaba limitada al hepatopáncreas. La afección se registraba aparentemente a los 10 días de ser sembrados los camarones en las piscinas. Los signos clínicos que la caracterizaban eran hepatopáncreas blanquecinos, debido a la pérdida de pigmento en las células R de los hepatocitos y atrofia del órgano que reducía su tamaño. En la fase terminal de la enfermedad, se observaban bandas obscuras (Fig. 3) debido a los depósitos de melanina por actividad de los hemocitos (3). Los análisis histopatológicos mostraron degeneración progresiva del hepatopáncreas con disfunción de hepatocitos de las células R, B, F y E. Estas células epiteliales de los túbulos presentaron cariomegalia o hipertrofia del núcleo y nucleolo, y del citoplasma (Fig. 4). Generalmente se delaminan las células muertas observándose sueltas en el lumen de los túbulos con infiltración masiva de hemocitos y presencia masiva de bacterias libres en los túbulos. Se encontró que los camarones afectados también presentaban el estómago colonizado por bacterias, las mismas que podrían liberar las toxinas que afectaban el hepatopáncreas. La bacteria aislada del estómago fue identificada como Vibrio parahaemolyticus.

Para 2014 se tenía mayor información a nivel mundial de la evolución de esta patología: 1) así se registró que la cepa patógena de V. parahaemolyticus crece muy rápido desplazando otras bacterias, es colonizadora y tiende a adherirse a las superficies y permanecer en el fondo de las piscinas; 2) la incidencia de AHPND es menor en agua de baja salinidad; 3) la AHPND afecta más en la estación cálida; 4) la aplicación de fertilizantes parece favorecer su crecimiento, y 5) los camarones más grandes parecen estar menos afectados por esta enfermedad; sin embargo, no son inmunes a la infección, siendo lo contrario para larvas y juveniles. Ensayos experimentales han mostrado que la AHPND puede afectar postlarvas con alta mortalidad en los tanques.

Se ha demostrado que las infecciones pueden afectar a camarones en casi cualquier etapa de su vida. Se ha comprobado que

Fig. 4. Enfermedad de la Necrosis Aguda Hepatopancreática (AHPND) o Síndrome de Mortalidad Temprana (EMS). Microfotografía en menor aumento, 100x A. de una zoea que presenta el intestino (punta de flecha), tejido hematopoyético (flecha grande) y hepatopáncreas (flecha fina). B. Mayor aumento, 400x de A. El hepatopáncreas presenta degeneración de los túbulos (flecha gruesa) con células epiteliales con cariomegalia, hipertrofia de núcleos y nucleolos (flecha fina) característica histopatológica de AHPND/EMS. No se observa infiltración de hemocitos en el intestino, ni en el hepatopáncreas, en esta etapa de la infección (H&E).

Fig. 5. A-B. Microfotografía en fresco en menor y mayor aumento de larvas misis y postlarva afectadas por la enfermedad de Postlarvas Translúcidas (Translucent Postlarva Disease). Nótese la transparencia del cefalotórax y abdomen (flechas).

V. parahaemolyticus libera proteínas que son toxinas al tejido del hepatopáncreas, originando necrosis degenerativa, a diferencia de la infección bacteriana típica (Vibriosis) donde la cepa especifica se adhiere al tejido del órgano para destruirlo desde adentro. En el caso de EMS, la toxina es el componente crítico de la infección; sin la toxina, la cepa bacteriana aparentemente no causa la patología (4). Las bacterias podrían entrar al sistema de producción con larvas

contaminadas, resultado de una inadecuada bioseguridad en los tanques de maduración y en los tanques de larvas.

Las postlarvas podrían ser portadoras asintomáticas de la bacteria de AHPND. Sin embargo, en los estadios larvarios de nauplios, zoea, misis y postlarvas, los análisis microbiológicos han permitido identificar a la cepa de V. parahaemolyticus, y confirmada con análisis histopatológicos en todos los

estadios antes indicados, con mortalidad de larvas y postlarvas. Por lo tanto, el análisis histológico es el método más adecuado para determinar la presencia de la enfermedad en todos los estadios larvales.

Los análisis histopatológicos mostraron avanzada degeneración de hepatopáncreas, con las características histológicas antes mencionadas. Los camarones afectados por esta enfermedad siempre presentaban una avanzada colonización de bacterias en el estómago y tracto intestinal.

Enfermedad de Postlarvas Translúcidas. (Translucent Post-larvae Disease, TPD).

En China, los laboratorios de cultivo de camarones Penaeus vannamei fueron afectados desde marzo de 2020 con mortalidades masivas de larvas, principalmente en los estadios de postlarvas (PL 4 y PL 7). Esta mortalidad se extendió a las principales piscinas camaroneras del norte de China por el transporte de postlarvas a esas regiones, alcanzando en algunos casos el 100% de mortalidad al tercer día de su transferencia a las piscinas. Las postlarvas afectadas se observaron translúcidas, con hepatopáncreas pálidos, escasa coloración y tractos digestivos vacíos, lo cual dio lugar a que la larva se vea transparente y translúcida. Así los camaroneros locales las llamaron ‘postlarvas translúcidas” o “postlarvas de vidrio” (Fig. 5). La alerta de esta nueva enfermedad originó que al menos 12 especialistas de 3 instituciones de investigaciones marinas en China dedicaran sus esfuerzos para identificar el agente causante de la enfermedad. El trabajo de estos investigadores fue publicado en la revista Pathogens 2020 (5).

El mayor esfuerzo se dio en el aislamiento e identificación del patógeno, en este caso de la bacteria Vibrio parahameolyticus basado en el análisis secuencial multi-locus. En esta publicación se ha hecho énfasis en la diferencia en el tipo de infección con la cepa de Vibrio parahameolyticus que causa la AHPND (EMS). Tal vez un aspecto importante de mencionar, es que los análisis histopatológicos, mostraron que las postlarvas afectadas presentaron los hepatocitos o células epiteliales de los túbulos del hepatopáncreas y del intestino, con severa descamación y necrosis de estos dos órganos (6).

Fig. 6. Enfermedad de Postlarvas Translúcidas (Translucent Post-larvae Disease, TPD). A Microfotografías en menor aumento (100x) de una postlarva con avanzada necrosis de los túbulos del hepatopáncreas (punta de flecha) estómago (asterisco), intestino con infiltración de hemocitos (flecha grande) y bacterias (flecha fina) colonizando el hepatopáncreas e intestinos, una característica histopatológica de la Enfermedad de Postlarvas Translúcidas (TPD). B. Mayor aumento de (400x) de A. colonizado por bacterias en hepatopáncreas (punta de flecha) intestino (flecha grande) y bacterias (flecha fina). (H&E).

Fig. 7. A. Microfotografía de la enfermedad de Postlarvas Translúcidas (TPD) afectado por bacterias libres (flecha) en los túbulos del hepatopáncreas. B. Microfotografía de un corte histológico sagital del intestino colonizado por la presencia masiva de bacterias (flecha) 1000x. Tinción de Giemsa.

En los eventos de AHPND observados en postlarvas se registró la degeneración celular del hepatopáncreas, pero no se registraron lesiones en el intestino originando enteritis hemocitica. Especial atención se dio a que en los procesos de iniciales de AHPND en postlarvas y adultos no se observó la presencia de bacterias libres en estos órganos, se presentaron bacterias libres consideradas como patógenos secundarios en los estados avanzados de infección.

En algunos países se ha registrado mortalidad de larvas y postlarvas en laboratorios

relacionados con los períodos de cambios de estación y a eventos vinculados con las variaciones de temperatura en el mar. En todos estos registros han sido recurrentes las infecciones por bacterias, las mismas que mediante análisis histopatológicos han estado relacionadas a lesiones en el hepatopáncreas (Fig. 6).

Una de las características más importantes observadas, tanto en nauplios, zoea, misis y postlarvas, ha sido la gran infiltración de hemocitos, formando nódulos y granulomas para controlar la infección, así como la

descamación de las células necróticas de este órgano y bacterias en hepatopáncreas e intestino (Fig. 7).

Cabe resaltar que en los análisis histopatológicos de larvas y postlarvas asociados en los años 2020 y 2021, las larvas presentaron además de las alteraciones antes mencionadas, procesos avanzados de enteritis hemocítica. Es importante resaltar que el sistema inmune de estas pequeñas larvas y postlarvas puede estar tan desarrollado que puede movilizar gran cantidad de hemocitos no solamente al hepatopáncreas, sino también al epitelio intestinal, que ya se encontraba colonizado por bacterias observadas en el lumen del intestino (Fig. 6). En estos eventos, los responsables de los tanques de producción de larvas se han referido a los casos de mortalidad como larvas vacías, nado errático, blanqueado y fondeado.

Virus del Síndrome de la Mancha Blanca. (White Sport Syndrome Virus, WSSV). Existe información sobre la diseminación de la enfermedad de la Mancha Blanca a través de la geografía y el tiempo, aunque el virus causante de esta enfermedad no sea probablemente un patógeno primario de camarones, sino de algún otro crustáceo que “saltó” de especie. El primer caso documentado de WSSV data de 1991 en la costa este del mar de China. Para 1992 y 1993, la enfermedad se extendió hacia el oeste por la costa de China continental, e hizo su aparición en Tailandia. En 1993 apareció también en Japón, asociado a la importación de juveniles de camarón de China. En 1994 se extendió por las costas del sudeste asiático.

En el continente americano se reportó por primera vez en Texas en 1995, en Carolina del Sur en 1996, y para 1998-1999 se reportó en América Central. Este virus se ha diseminado rápidamente, debido a la translocación de animales infectados y a la presencia de vectores y/o portadores diferentes del camarón, afectando a toda América. Posiblemente, su expansión estuvo asociada a la importación de postlarvas procedentes de Centroamérica. Es a partir de esta fecha cuando el WSSV, caracterizado por la mortalidad masiva de camarones, se extendió rápidamente (7).

Fig. 8. Microfotografías del virus del Síndrome de la Mancha Blanca (WSSV) en larvas de Penaeus vannamei. A. Se observa todavía el desarrollo incipiente de las lamelas branquiales (flecha) pero infectadas con cuerpos de inclusión del virus WSSV. B. Mayor aumento de A en la que todas las lamelas están afectadas por el virus (flecha). C. Hipodermis del estómago en que toda la hipodermis está cubierta por cuerpos de inclusión (flecha) de WSSV y D. Glándula antenal que muestra la infección extendida en este órgano (flecha). Aumentos: (A) 400x. (C-D) 1000x. (H&E).

Algunos investigadores han formulado dos teorías no excluyentes sobre la reducción de la virulencia de los virus a través del tiempo. La primera teoría se refiere a la adaptación del animal afectado al virus, y la segunda, la adaptación del virus debido a variaciones genéticas. Cada vez que el virus se replica, se generan “errores de copiado” o mutaciones que lo modifican ligeramente. Las variaciones que resultan demasiado virulentas mueren junto con su víctima, y las que no lo son tanto, tienen más oportunidad de reproducirse y perpetuarse.

En la fase inicial del desarrollo de la enfermedad, varias fincas registraron mortalidad inusual de camarones en las piscinas. Los animales afectados presentaron coloración rojiza del exoesqueleto. Los cortes histológicos de los camarones moribundos presentaron desarreglo de las células columnares en el epitelio cuticular

y proliferación de células deformadas en el tejido conectivo, con una marcada eosinofilia en los núcleos deformados, el cuerpo de inclusión prominente característico del WSSV. En algunos camarones, la marcada eosinofilia fue también observada en el tejido hematopoyético, con hipertrofia nuclear en el hepatopáncreas, órgano linfoide y lamelas branquiales (Fig. 8).

Los camarones que presentaron esta alteración nuclear registraron en otras áreas del epitelio o en otros camarones afectados, cuerpo de inclusión eosinófilo centronuclear, rodeados de un halo claro y un anillo de cromatina. Sin embargo, durante etapas más avanzadas de la infección del WSSV, los tejidos infectados presentaron cuerpos de inclusión de gran tamaño, con marcada basofilia.

El diagnóstico histopatológico está basado

en la observación de los prominentes cuerpos de inclusión basófilos en los núcleos hipertrofiados, localizados principalmente en el epitelio cuticular, como en la hipodermis del estómago, en las células del tejido conectivo y, menos frecuente, en la glándula antenal y órgano linfoide.

En los últimos años se han registrado brotes esporádicos de la Mancha Blanca, afectando en algunos casos la producción en los laboratorios de larvas de camarón y presentándose alta mortalidad de postlarvas en precriaderos, especialmente en aquellos que registran bajas salinidad en sus sistemas de cultivo o en reproductores afectados por estrés, como bajas de oxígeno crónicas en las piscinas.

Microsporidio del grupo – Enterocytozoom (EGM) en postlarvas

Los organismos clasificados en el orden Microsporida, están distribuidos ampliamente como parásitos citozoicos y son parásitos típicos de artrópodos y de los peces. Estos organismos invaden y experimentan la reproducción sexual y la esporogonia dentro de las células huéspedes, las cuales muestran una hipertrofia enorme del citoplasma y del núcleo, siendo este un rasgo característico de la infección por microsporidios (8).

Las dimensiones de la espora son afectadas por varias condiciones; sin embargo, la forma que pueden desarrollar, desde esférica hasta cilíndrica, y las dimensiones de la espora deben tomarse en consideración más precisa de las especies (8).

La Microsporidiosis Hepatopancreática (HPM) es una enfermedad que afecta a varias especies de camarones peneidos. La enfermedad causada por la infeccion de Enterocytozoom hepatopenai (EHP) de un microsporidio patógeno, fue descrita en 2009 basándose en análisis hisptopatológicos y de ultraestructura. La ultraestructura de la espora es similar (9)., a otros microsporidios registrados en varias especies de camarones en Asia. Estos estudios han determinado que infecciones de microsporidios similares de EHP sean categorizadas de esta forma (Thitamadee et al., 2006.(10).

Las infecciones de EHP han alcanzado

Fig. 9. Infección del Microsporidio Grupo - Enterocytozoom (EGM) en postlarvas de Penaeus vannamei. A. Microfotografías H&E en hepatopáncreas. Se observa en estado inicial avanzado en los citoplasmas, con la inclusión de numerosas esporas. B. Mayor aumento de A. de los túbulos, esporas (flecha) se presentan elípticas y ovoides (flecha) de aproximadamente de 1 mm (micra) basofílicas. C y D. Microfotografías con Giemsa en hepatopáncreas. Las numerosas esporas llenan el espacio citoplasmático, en algunas áreas se observan espacios libres (flecha) con la ruptura del citoplasma A, C, D: 400x, B: 1000x.

proporciones epidémicas en los cultivos de camarones peneidos en Asia. El EHP retarda el crecimiento, reduciendo el promedio de peso con altas tasas de variaciones en el tamaño; las heces blanquecinas algunas veces observadas pueden ser una causa indirecta y no directa de la enfermedad. También puede observarse tracto intestinal blanquesino y vacíos. En estados avanzados se registran cutículas débiles, letargo y mortalidades crónicas (11). La primera evidencia de alta prevalecencia de EHP en cultivos de Penaeus vannamei se registró en Tailandia en 20132014, coincidente con la presencia del Síndrome de Mortalidad Temprana (EMS). Desde la descripción de E. hepatopenaei en 2009, las investigaciones han avanzado al ahora denominado Enterocytozoom -group microsporidia (EGM) que incluye parásitos de varios género incluyendo: Enterospora, Nucleospora, Desmozzon, Obruspora y

Hepatospora, todos ellos afectando a un amplio rango de huéspedes invertebrados y vertebrados. Chaijarasphong et al. (12), ha considerado que EHP ha sido confirmado en Tailandia, India, Vietnam, Brunei, Indonesia y China; además, sugiere que el reporte de EHP en Venezuela podría estar relacionado a una especie diferente en el EGM (12).

La infeccion de EHP incluye varios estadios del ciclo de vida del parásito en las células epiteliales de los túbulos del hepatopáncreas y estadios libres de las esporas en el lúmen de los túbulos con la lisis de los citoplasmas afectados. En los estadios iniciales de infección los esporoblastos se desarrollan dentro del citoplasma (Fig. 9), hasta que en estadios más avanzados rompen los hepatocitos liberando las esporas. En esta etapa se observan en el hepatopáncreas los túbulos disgregados y en proceso de

disolución de los citoplasmas (Fig. 10). Las esporas a pesar de su tamaño pequeño (1,0m - 1,5m) pueden ser observadas con H&E y Giemsa. Los estadios plasmodio con esporontos, pueden desarrollar esporoblastos y posteriormente en esporas, que pueden presentarse aglutinadas o libres, la membrana del esporonto puede degenerar en diferentes estadios durante la formación de esporas en EHP.

Evidencias de fagos en coinfecciones de virus y bacterias

Desde la década de 1920, se encontró que los bacteriófagos fueron identificados como los virus de las bacterias, los cuales podrían ser aplicados como terapia y profilaxis antibacteriana. Los virus que atacan a bacterias o fagos han sido aislados de bacterias en el mar. Estos fagos activos en contra de las bacterias han sido aislados en varios géneros y especies de bacterias marinas, así como los métodos para su aislamiento, incluyendo bacteriófagos de especies Vibrio (13).

Los fagos has sido aislados en las mismas áreas en el mar, donde previamente se habían aislado las bacterias, confirmándose la actividad lisogénica (lisis). Por lo tanto, es de importancia conocer su distribución en el mar, en el tiempo y espacio, y sus interrelaciones con las poblaciones bacterianas. Sin embargo, en los últimos años, con la emergencia de epizootias por bacterias patógenas, los fagos se han propuesto como candidatos de agentes terapéuticos para la acuicultura (14) (15).

Varios reportes describen el aislamientos de fagos de Vibrios luminiscentes, incluidos los lisogénicos y recientemente también fagos líticos. Se considera que, por lo general, los fagos tienen un estrecho rango de huéspedes. Muchos de los fagos son específicos para una cepa dada por lo que antes de uso como agente de control biológico para el tratamiento de vibriosis deben ser seleccionados por su capacidad para infectar a una amplia gama de Vibrio (16).

En India, un estudio publicado en 2006 aisló siete fagos en tanques de cultivo de larvas de camarones y sus capacidades líticas fueron evaluadas contra 183 cepas de Vibrio

Fig. 10. E. Microfotografía de hepatopáncreas con túbulos en proceso de disolución por la inclusión en los citoplasmas de abundantes esporas F. mayor aumento de E. se observa la disolución parcial de los hepatocitos por la concentración de esporas. G. Microfotografía de hepatopáncreas con la completa separación de los túbulos. Nótese la usencia de hemocitos en los espacios intertubulares. H. mayor aumento de G. en la que permanecen esporas de tamaño variable en hepatocitos en completa disolución. E y G. 400x. F y H. 1000x. (H&E).

Fig. 11. Microfotografías en varios aumentos (A: 15.000 x, B: 50.000x, C: 100.000x) Camarones prejuveniles afectados con necrosis del epitelio cuticular por bacteriófagos de una co-infección de baterías (flecha) y agregraciones de virus (punta de flecha). Se observan bacteriófagos C. en la pared y membrana celular de las bacterias (flechas finas) iniciándose una infección lisogénica. Las bacterias miden entre 0.30 mm 0.50 mm y los viriones entre 15nm y 20nm. Barra A: 1.3 mm B: 0.4 mm, C: 0.2 mm. Microfotografías en MET por: Dr. Roberto Jiménez.

Fig. 12. Microfotografías en varios aumentos (A: 30.000x, B: 100.000x, C: 100.000x) A. Bacterias (flecha) de camarones pre-juveniles afectados con necrosis en el epitelio cuticular asociado con partículas virales (punta de flecha) y bacteriófagos (flechas finas) los mismos que se concentran en B. alrededor de la pared celular de las bacterias. C. iniciándose una infección lisogénica con ensamblaje de los fagos dentro de las bacterias. La bacteria B mide 0.30 mm y los fagos. B. miden 20nm y C. 30nm. Barras A:0.6 mm B: 0.20 mm, C: 0.2 m. Microfotografías en MET por: Dr. Roberto Jiménez.

harveyi; encontraron que los fagos lisan en el 15 y 69% de las cepas de V. harveyi y que ninguno de los fagos aislados fue capaz de infectar a otras especies de Vibrio. Los autores concluyeron que los laboratorios para el cultivo de larvas de camarón serían una buena fuente para el aislamiento de fagos a ser utilizados como agentes terapéuticos.

En condiciones de laboratorio, la adición del fago aumentó en un 45 a 55% la supervivencia de larvas infectadas con una cepa patógena de V. harveyi. El tratamiento con fago obtuvo resultados mejores que el tratamiento realizado con la adición diaria de antibióticos, donde la supervivencia final fue solamente del 40%. Antes de utilizarlo es importante evaluar factores de virulencia y resistencia a la adherencia del fago (17) (18).

En camarones con mortalidad en piscinas de América, los análisis histopatológicos y de microscopía electrónica de transmisión (MET) han mostrado evidencias de coinfecciones del virus (TSV), bacterias y fagos asociados con estas coinfecciones, lo que constituye el primer registro de bacterífagos en camarones de cultivo (Figs. 11 y 12)•

Bibliografía

(1) Harris L. 1997. Guidelines for controlling luminous Vibriosis in Penaeus monodon hatcheries. Aquaculture. 11 (4):66-67.

(2) Intriago P., Montiel B., Valarezo M., Romero X., Arteaga K., Cercado N., Burgos M., Shimm A., Montenegro A., Medina A., Gallardo J., 2024. Síndrome de las Bolitas en criaderos de Penaeus vannamei en Amaérica Latina. Aquacultura (161): 27-36.

(3) Anónimo. 2012. Actualizaciones sobre el Síndrome de Mortalidad Temprana (EMS) y su patología asociada, el Síndrome de la Necrosis aguda del Hepatopáncreas (AHPNS). Aquacultura (92):40-41

(4) Tran L., Nunan L., Redman R., Mohney L., Pantoja C., Fitzsummons K., Lightner D. 2013. Determination of the infectious nature of the agent of acute hepatopancreatic necrosis syndrome affecting penaid shrimp. D. Aquatic Org. 105:45-55.

(5) Zou Y., Xie G., Jia T., Xu T. Wang Ch. Wan X., Li Y., Luo K., Bian X., Wang X., Kong J., Zhang Q. 2020. Determination of the Infectious Agent of Translucent Post-Larva Disease (TPD) in Penaeus vannamei. Pathogens. 741, doi:10.3390/pathogens9090741 (6) Zhang Q. 2021. Determination of the infectious agent of Translucent Postlarva Disease in Pacific White Shrimp. Global Aquaculture Advocate. (https://www.aquaculturealliance.org).

(7) Bucheli, P., y L. Maridueña – 1999. Síndromes de White Spot (WSSV). Yellow Head (YHV). Acuacultura 31:12-16.

(8) Kudo R. 1969. Protozoologia. Charles C. Thomas Publisher. 905 pp.

(9) Tourtip S., Wongtripop, S., Stentiford G., Bateman K., Sriurairatana S., Chavady J., Sritunyalucksana K., Withyachumnarnkul B., 2009. Enterocytozoom hepatopenaei sp-nov. (Microsporida: Penaeidae): fine structure and phylogenetic relationships. J. Invertebr. Pathol. 102:21-29.

(10) Thitamadee, S., Prachumwat, A., Srisala, J., Jaroenlak, P., Salachan, P., Sritunyalucksana, K., Flegel, T., Itsathitphaisarn, O. 2016. Review of current disease threats for cultivated penaid shrimp in Asia Aquaculture. 452:69-87.

(11) Aranguren Caro L., Alghamdi F., DeBelder K., Liu J., Mai H.N., Millabas J. Alrehaili Y., Alazwari A., Algetham S., Dhar A.K. 2021. The effect of salinity on Enterocytozoom hepatopenai infection in Penaeus vannamei under experimental conditions. BMC Veterinary Research 17:65.

(12) Chaijarasphong T., Munkongwoongsiri N., Stentiford G., Aldama-Cano D., Thansa K., Flegel T. Sritunyalucksana K., Itsathitphaisarn O. 2021. J. The shrimps microsporidian Enterocytozoom hepatopenaei (EHP): Biology, pathology, diagnostics and control. Invertebrate Pathology (186): (13) Tang K.F. Aranguren L., Piamsomboon P., Eun Han J., Maskaykina I., Schmidt M. M. 2017. Detection of the microsporidian Enterocytozoom hepatopenai (EHP) and Taura syndrome virus in Penaeus vannamei cultured in Venezuela. Aquaculture 480:17-21.

Microfotografía en corte histológico de camarón con hepatopáncreas normal. Los espacios vacíos dentro de los túbulos corresponden a la cantidad de lípidos que se encuentran en este órgano. Aumento 1000X.

Microfotografía Dr. Roberto Jiménez

(14) Spencer R. 1963. Bacterial Viruses in the Sea. In: Symposium on Marine Microbiology. Ed. Carl H. Oppenheimer. Charles C. Thomas Publisher. 769 pp. (15) John S. G., Mendez C. B., Deng L., Poulos B. Kauffman A. K., Kern S., Brum J., Polz M. F., Byle E. A., Sullivan M.B. 2011. A simple and efficient method for concentration of ocean viruses by chemical flocculation. Environ Microbiol. Rep. 3; 195-202.

(16) Focardi A. 2020. Investigating the diversity of Marine bacteriophage in contrasting water masses associated with the East Australian Current (EAC) System.

(17) Stante M., Weiland-Brauer N., Von HoyningenHuene A., Schmitz R. 2024. Marine bacteriophages disturb the associated microbiota of Aurelia aurita with a recoverable effect on host morphology. Front Microbiol. Sec. Virology vol. 15. https://doi. org/10.3389/fmicb2024.1356337

(18) Wommack K. E., Colwell R., 2000. Virioplankton: Viruses in Aquatic Ecosystems. Microbiol. Mol. Biol. Rev. 64:69-114.

Desbloquee todo el potencial de su laboratorio con microalgas vivas enriquecidas

Autores:

Larissa Gimenes

Ingeniera Técnica Comercial larissa.gimenes@inalve.com

Fabrice de Panthou

Gerente Comercial fabrice.depanthou@inalve.com

Freddy Guiheneuf Director Científico freddy.guiheneuf@inalve.com

Una solución altamente concentrada de microalgas vivas ofrece a los laboratorios acuicolas una forma más sencilla y eficiente de alimentar las larvas, mejorando el rendimiento productivo. Esta biomasa en forma de biofilm es considerada un producto revolucionario para los laboratorios. La innovadora tecnología permite la comercialización de microalgas vivas concentradas y enriquecidas, así como el desarrollo de una gama de productos con ingredientes optimizados que favorecen la salud de las larvas.

No solo microalgas frescas, sino microalgas vivas

Las células de algas vivas desempeñan un papel crucial en el mantenimiento de la calidad del agua al reducir algunos elementos como el nitrato y el fosfato, así como el nitrito y el amoníaco tóxicos, que, si se acumulan, pueden degradar la calidad del agua de los tanques de cultivo de larvas. Además, las microalgas vivas contribuyen a estabilizar los niveles de pH y O2, creando un ambiente más saludable y seguro para los animales acuáticos. Esto da como resultado tanques más limpios y saludables para las larvas y, por lo tanto, una mayor tasa de supervivencia, lo que contribuye a una mayor productividad.

Mantener las células vivas e intactas también evita la degradación y oxidación de los nutrientes dentro de las células (Fig. 1). Como resultado, los nutrientes están protegidos dentro de las células y mantienen una alta calidad, en lugar de ser oxidados por el entorno circundante, como suele suceder con las células dañadas. Esto garantiza una mayor biodisponibilidad de los nutrientes para los organismos acuáticos.

Con esta nueva tecnología, el proceso de cosecha de microalgas consiste en un raspado suave de la biomasa, lo que garantiza un producto final compuesto por células 100% vivas y al mismo tiempo altamente concentradas de forma natural. Otras técnicas de producción de microalgas implican métodos de cosecha como la centrifugación para concentrar las células de microalgas altamente diluidas antes del transporte. El proceso de centrifugación daña las células, lo que da como resultado una pasta de microalgas fresca pero muerta.

Desencadenando el rendimiento del laboratorio

Desde una única microalga hasta una gama de productos diseñados para laboratorio que buscan una solución simple, nutricional y efectiva para maximizar su rendimiento (Tabla 1), INALVE ha desarrollado una oferta integral. En lugar de proponer una mezcla de diferentes cepas para cubrir toda la gama de necesidades nutricionales y de salud, se ha elaborado una oferta integral para mejorar las tasas de supervivencia, la productividad y la inmunidad en animales acuáticos.

Si bien Tetraselmis suecica alguna vez fue una cepa descuidada entre los productores de peces, ahora se propone una nueva generación de Tetraselmis para laboratorios. Gracias a la experiencia de INALVE, Tetraselmis es potenciada de forma natural en exopolisacáridos sulfatados (EPS), una molécula inmunoestimulante que contribuye significativamente a la salud inmunológica de las larvas.

Además, las microalgas están enriquecidas con nutrientes esenciales totalmente disponibles para los animales acuáticos. Por ejemplo, la Tetraselmis suecica contiene naturalmente solo EPA, y ahora se propone una microalga que también contiene DHA, un ácido graso omega-3 vital para el desarrollo óptimo de las larvas en la acuicultura, debido a su papel fundamental en el apoyo a la función cognitiva, los sistemas sensoriales y la salud metabólica general.

Como resultado, este producto compuesto por una sola microalga Tetraselmis suecica, aborda completamente las necesidades nutricionales de las larvas, reduciendo así la necesidad de mezclar varias cepas de algas. La mezcla de cepas de algas es una práctica común en los laboratorios para optimizar la salud y el crecimiento de los animales acuáticos. Las diferentes cepas proporcionan una gama más amplia de nutrientes, incluyendo ácidos grasos esenciales, vitaminas y minerales. Sin embargo, la mezcla en los laboratorios puede generar complejidad en el manejo, mayores costos, retos logísticos y un mayor riesgo de contaminación. La estrategia de INALVE es simplificar la producción en los laboratorios con una cepa de algas nutricionalmente completa.

Células vivas

Células dañadas

Degradación y oxidación de nutrientes dentro de las células BAJO valor nutricional y biodisponibilidad

Figura 1. Diagrama ilustrativo que muestra rotíferos dentro de un tanque de producción. A la izquierda: células de microalgas intactas con nutrientes protegidos en el interior de las células, lo que garantiza una mayor biodisponibilidad de nutrientes para los rotíferos. A la derecha: células dañadas, donde los nutrientes son degradados y oxidados por el entorno circundante, lo que resulta en un menor valor nutricional y biodisponibilidad para los rotíferos. Las imágenes son para fines ilustrativos y no representan el tamaño proporcional de cada elemento.

Tabla 1. Gama de productos

Aplicación

Especificaciones

Concentraciones celulares

STD para camarones (Zoea 1 a PL) para peces (tecnología de agua verde).

B12: <10-50 µg/100g DW EPA: 5-10 mg/g DW

B12 para cultivo de rotíferos para aumentar la productividad.

B12: 500 µg/100g DW EPA: 5-10 mg/g DW

Tetraselmis suecica es un recurso versátil y rico en nutrientes para los organismos acuáticos, al que los productores acuícolas suelen denominar “oro verde”. Gracias al know-how de INALVE, sus propiedades se potencian para los laboratorios.

Alimento vivo para la acuicultura y acuarios

La Tabla 2 destaca las diversas aplicaciones de las soluciones de microalgas de INALVE en la acuicultura y los beneficios correspondientes, demostrando su impacto significativo en la mejora de la productividad y la salud animal, así como el apoyo a prácticas sostenibles en diversos entornos acuáticos.

DHA para cultivo de rotíferos para contribuir a la etapa de enriquecimiento.

B12: < 10-50 µg/100g DW EPA: 5-10 mg/g DW

DHA: 10-15 mg/g DW

300 million cells/mL

IMMUNO para peces y camarones para aumentar la inmunidad y la resistencia a patógenos.

Además, en el ámbito del refinamiento de mariscos y ostras, la solución de INALVE favorece un mejor crecimiento y salud de las larvas de mariscos y apoya el proceso de refinamiento de las ostras.

Mientras tanto, la solución ha demostrado efectos positivos en una amplia gama de invertebrados marinos como poliquetos, tunicados, esponjas, gasterópodos, erizos de mar, pepinos de mar y caballitos de mar, contribuyendo a su crecimiento y salud general.

Cambia tu sala de algas por una botella de algas vivas

Esta solución lista para usar, biosegura y estandarizada, compuesta por 100% de células vivas permite a los laboratorios concentrarse completamente en su negocio principal, la cría de animales acuáticos, en lugar de tener un espacio dedicado al cultivo de microalgas.

Los altos costos de producción, la baja productividad y los riesgos de contaminación son algunos de los pocos desafíos que presenta el cultivo de algas vivas en laboratorios (Fig. 2). No solo consumen tiempo, espacio y recursos humanos, sino que también desvían a los productores de concentrarse en la cría de animales acuáticos.

Para abordar estos retos, actualmente existen productos de microalgas vivas listos para usar para la etapa larvaria. Se pueden almacenar en el refrigerador hasta dos meses y conservan la mayoría de las células vivas (>50 %), haciéndolas más efectivas para las larvas en comparación con las microalgas muertas, congeladas o centrifugadas. Los numerosos beneficios que brindan estos productos permiten a los laboratorios reducir sus costos de producción.

Caso de estudio: Beneficios en la producción de larvas de camarón Este estudio probó la microalga Tetraselmis suecica en larvas de camarón y lo comparó con Thalassiosira weissflogii viva, encontrando un aumento en la inmunidad y la resistencia a patógenos (Fig. 3). Los beneficios observados incluyen una tasa de supervivencia de las larvas de camarón igual o superior. Además, la metamorfosis fue más rápida, lo que resultó en un mayor tamaño final de las postlarvas. También se evidenció una mayor tolerancia al estrés y resistencia a patógenos, permitió una mejor supervivencia en PL10-12 y en juveniles, incluso después de una prueba de estrés por salinidad o exposición a Vibrio parahaemolyticus. Este patógeno causa el síndrome de mortalidad temprana (EMS/AHPND) y la enfermedad de la postlarva transparente (TPD). Esta resistencia a patógenos es particularmente notable en la etapa de granja, ya que podría resultar en tasas de supervivencia de camarón aproximadamente un 50% más

APLICACIÓN

-Producción y enriquecimiento de presas vivas: rotíferos, Artemia y copépodos en laboratorios de peces.

-Técnica de agua verde

BENEFICIOS

• Mejora el valor nutricional de las presas vivas.

• Mejora la producción de huevos, impulsando así la producción de presas vivas.

-Producción de larvas de camarón

• Mantiene la calidad del agua al absorber compuestos de nitrógeno residuales y estabilizar los niveles de pH y O2.

• La actividad bacteriostática de Tetraselmis suecica ayuda a limitar el crecimiento bacteriano en tanques de larvas, lo que garantiza un entorno más saludable para las especies acuáticas.

• Promueve una buena tasa de supervivencia de las larvas.

• Acelera la metamorfosis de larvas.

• Mayor tamaño final de postlarvas de camarón.

• Mayor tolerancia al estrés y resistencia a patógenos.

Tabla 3. Comparación de parámetros clave entre la producción de microalgas de los laboratorios.

PRODUCCIÓN DE MICROALGAS EN LABORATORIOS OFERTA

Recursos terrestres

Recursos de equipamiento

Recursos humanos

Riesgos de bioseguridad

Disponibilidad de biomasa

Concentración

Vida útil

El cultivo de microalgas representa una parte importante de las tierras de los laboratorios.

Equipos especializados para el cultivo, monitoreo y control ambiental.

Equipos capacitados.

Alto, debido al cultivo extensivo de microalgas y sistemas abiertos.

Varias semanas para lograr grandes volúmenes de cultivo de microalgas.

Cultivo altamente diluido, por lo general < 0.5 g/L de materia seca.

Debe usarse poco después de la producción.

Botellas compactas

1 refrigerador básico

1 refrigerador básico

Producto bioseguro garantizado

Producto listo para usar

Producto altamente concentrado, hasta 100 g/L de materia seca

Almacenable por 2 meses en el refrigerador, manteniendo la mayoría de las células vivas

Tabla 2. Aplicaciones y beneficios clave de los productos

altas en caso de brotes de enfermedades.

Poniendo a prueba el potencial de su laboratorio

Como gerente de un laboratorio, usted proporciona la base para producir juveniles de alta calidad y libres de enfermedades, asegurando ciclos de producción continuos y confiables.

Incluso si tiene una sala de algas y se destaca en la producción interna de fitoplancton, los desafíos de mantener esa producción son significativos, como se mencionó anteriormente.

Garantizar una producción eficiente en el laboratorio mediante la elección

Figura 2. Comparación de recursos humanos y utilización del espacio en la producción de microalgas: El diagrama de la izquierda ilustra la producción interna de microalgas dentro de los laboratorios, mientras que la imagen de la derecha muestra un laboratorio que utiliza la solución para la nutrición larvaria.

de microalgas de alta calidad es extremadamente importante para el proceso de producción general. Por lo tanto, tener

MICROALGAS

ARTEMIA

ALIMENTO SECO

Prueba EMS/AHPND y TPD en poslarvas de camarón PL12

Prueba de patógeno 1

acceso a una solución de microalgas vivas y altamente concentrada es muy valioso•

Días poseclosión (DPH)

Prueba de patógeno 2

Prueba EMS/AHPND y TPD en juveniles de camarón 48 DPH

Figura 3. Mayor resistencia de poslarvas de camarón (PL10-12) y juveniles (48 DAH) producidos utilizando STD o IMMUNO en comparación con Thalassiosira weissflogii viva cuando se pone a prueba con Vibrio parahaemolyticus induciendo EMS/AHPND (síndrome de Mortalidad Temprana/enfermedad de Necrosis Hepatopancreática Aguda) y TPD (enfermedad Poslarval Transparente).

La suplementación de ácidos biliares en la dieta mejora la sobrevivencia y respuesta inmune de Penaeus vannamei

Autores:

Percy Yacila-Silva1

Milton Sócola-Sunción1

Edgar López-Landavery2*

1 Facultad de Ingeniería Pesquera y Ciencias del Mar, Universidad Nacional de Tumbes. Ciudad Universitaria, Av. Universitaria S/N, Tumbes, Perú.

2 Laboratorio de Genética, Fisiología y Reproducción, Universidad Nacional del Santa. Av. Pacífico 508, Nuevo Chimbote, Perú.

http://doi.org/10.57188/manglar.2024.035

elopez@uns.edu.pe

En las últimas décadas, la acuicultura ha crecido considerablemente como un sector estratégico en la producción de alimentos (Pauly & Zeller, 2016). Asimismo, es el sector de producción animal con la mayor tasa de crecimiento a nivel mundial (FAO, 2020). No obstante, una mayor demanda de productos acuícolas ha resultado en mayores niveles de producción, principalmente a través de sistemas intensivos, con la aparición de nuevos desafíos.

Después de la producción de peces, el cultivo de langostino representa la actividad más importante a nivel mundial, y en Perú y Ecuador representa la actividad acuícola más importante. Ello genera grandes divisas y puestos de trabajo. Sin embargo, la productividad del cultivo de Penaeus vannamei dependen de una óptima alimentación y nutrición, así como de un monitoreo y control eficiente de las enfermedades virales y bacterianas para evitar pérdidas económicas. Lo anterior, refleja la necesidad de implementar estrategias que permitan mejorar de manera sostenida el manejo de los sistemas de producción.

En los últimos años, una estrategia que ha ganado aceptación a nivel comercial se basa en la aplicación de aditivos en el agua o el alimento, ya sea para mejorar la calidad del agua o promover un mejor desempeño de los organismos. Uno de esos aditivos que actualmente se están usando en el alimento son los ácidos biliares. Los langostinos no pueden sintetizar los ácidos biliares de novo y solo pueden obtenerlos a través del alimento. Como tal, los ácidos biliares son componentes de la bilis, se secretan en el intestino proximal donde actúan como surfactantes al emulsionar los lípidos en micelas, mejorando su proceso de digestión debido a que genera más sitios de acción para la lipasa (Lijima et al., 1998; Chandra, 2018).

La acción emulsificante de los ácidos biliares se genera al unirse con sales de sodio y potasio para formar sales biliares, que forman micelas que se mezclan con fosfolípidos y colesterol. Lo anterior no solo incrementa la digestión y absorción del colesterol sino también de vitaminas liposolubles, carotenoides y astaxantinas

(Chiang, 2017a; Sallam et al., 2017). A nivel de hepatopáncreas, los ácidos biliares se unen con glicina y taurina para formar puentes de ácidos biliares, que son absorbidos por las paredes intestinales favoreciendo su salud y estructura morfológica (Li & Apte, 2015). Varios estudios han reportado el efecto positivo de la inclusión de ácidos biliares en la dieta de P. vannamei sobre el crecimiento y la respuesta inmune (Kumar et al., 2019; Su et al., 2021; Li et al., 2023a). También, se ha comprobado que la adición de ácidos biliares en dietas con bajos niveles de inclusión de harina de pescado mejora el crecimiento (Xie et al., 2021; Wang et al., 2023).

No obstante, son escasos los reportes sobre la efectividad de estos ácidos biliares agregados artesanalmente a alimentos balanceados comerciales que se caracterizan por tener altos niveles de inclusión de harina de pescado.

Recientemente, ha sido reportado que la suplementación con ácido quenodeoxicólico a razón de 600 ppm en dietas para P. vannamei conteniendo harina de Clostridium autoethanogenum, como reemplazo parcial de harina de pescado, mejoró significativamente el crecimiento, el metabolismo de lípidos y de esteroles, además de la salud del hepatopáncreas (Shi et al., 2023). Otro estudio indica que además de la suplementación de ácidos biliares en la dieta de Macrobrachium rosenbergii, es importante mantener una microbiota balanceada, de manera que los ácidos biliares y ácidos grasos de cadena corta que producen favorezcan la salud intestinal y el sistema inmune (Zheng et al., 2024).

La respuesta inmune en crustáceos se da a través de una combinación de tejidos, células y un sistema de moléculas que cumplen un rol defensivo contra infecciones de potenciales agentes patógenos, así como de sustancias que puedan ocasionar algún tipo de daño (Cajas et al., 2020). En este contexto, los hemocitos son cruciales en la respuesta inmune y están involucrados en diversos procesos tales como la fagocitosis, encapsulación, formación de nódulos y mediación de la citotoxicidad. Avances en el estudio de hemocitos y la purificación de factores involucrados en las reacciones de defensa muestran que el sistema de

activación de la profenoloxidasa y otros factores asociados son mediadores vitales de la inmunidad en crustáceos (Cerenius et al., 2010; Kulkarni et al., 2021).

Varios autores indican que los parámetros hemato inmunológicos más empleados como indicadores de salud en crustáceos son: (1) hemogramas, (2) tiempo de coagulación de la hemolinfa, (3) actividad de la enzima fenoloxidasa (PO), (4) índice de fagocitosis, (5) producción de radicales de oxígeno (ROIs), (6) actividad antimicrobiana, (7) título aglutinante del plasma y (8) concentración de proteínas totales de la hemolinfa (Barracco et al., 2014; Huang et al., 2020). La potencial efectividad de los ácidos biliares agregados de manera artesanal en alimentos balanceados comerciales conduciría a una aplicación práctica en la alimentación de P. vannamei. Esto implicaría una mejora en la eficiencia alimenticia, mantener la calidad del agua y fortalecer su sistema inmune. Con base en lo anterior, el presente trabajo tiene como objetivo determinar el efecto de la adición de ácidos biliares en el alimento balanceado comercial sobre el crecimiento, sobrevivencia y la respuesta inmune de P. vannamei.

Metodología

Obtención de juveniles de Penaeus vannamei

Cuatrocientos veinte juveniles de P. vannamei con un peso promedio de 5,8 ± 0,19 g fueron obtenidos del Centro de Producción Acuícola de la Facultad de Ingeniería Pesquera y Ciencias del Mar (Figura 1a). Previo al inicio del experimento, los langostinos fueron aclimatados durante dos semanas a la temperatura (~27 °C) y alimentación con balanceado comercial (4 raciones al día, 40% proteína).

Origen de los ácidos biliares

El producto comercial (Runeon II 75%) utilizado en esta investigación tuvo como ingrediente activo 75% de ácidos biliares (ácido quenodesoxicólico y ácido cólico) y un 25% de almidón de maíz como transportador. Está diseñado para promover la digestión y absorción de grasas y vitaminas liposolubles, proteger al hígado y a la vesícula biliar, apoyar la salud animal, aumentar la utilización de la dieta y reducir el costo de la alimentación.

En crustáceos, se recomiendan dosis de 1 a 3 kg por tonelada de alimento.

Inclusión de los ácidos biliares en el alimento

Se utilizó alimento comercial extruido con niveles de proteína de 40% (0,8 mm ∅) y 35% (1,2 mm ∅), respectivamente. La preparación del alimento con la inclusión de los ácidos biliares se realizó diariamente. Para ello, inicialmente se elaboró una mezcla de ligante con agua en relación 4:1. La mezcla se utilizó a razón de 40 mL/ kg de alimento. Posteriormente, se agregó la cantidad correspondiente de ácidos biliares en función de los tratamientos: control, 750 ppm, 2250 ppm y 3750 ppm. El mezclado fue realizado hasta humedecer uniformemente el alimento. Previo a su distribución en los tanques experimentales, el alimento fue secado a temperatura ambiente durante 2 h.

Ensayo con Penaeus vannamei El diseño experimental para evaluar el efecto de la adición de ácidos biliares en el alimento sobre el crecimiento y la respuesta inmune de P. vannamei fue un diseño completamente aleatorizado. Estuvo compuesto de 4 tratamientos y 3 réplicas biológicas, generando 12 unidades experimentales equivalentes a tanques circulares de 1,5 m3 de capacidad con aireación mecánica. La densidad inicial fue de 35 juveniles/m3 y la ración diaria de alimento fue dividida en 4 dosis y suministradas a las 8 am, 12 m, 3 pm y 6 pm. El ensayo duró 28 días (Figura 1b).

Crecimiento y sobrevivencia de P. vannamei Las muestras de langostino fueron tomadas aleatoriamente una vez por semana. El peso promedio se determinó mediante el método gravimétrico con la siguiente fórmula:

Peso promedio (g)= Peso total de muestra (g) N◦ de individuos en muestra

El incremento de peso semanal se calculó restando el peso del langostino al final de cada semana con el peso final de la semana anterior. La sobrevivencia semanal se calculó considerando el número de organismos vivos respecto al número inicial que representó el 100%.

ALIMENTACIÓN

Parámetros inmunológicos de P. vannamei

Para la toma de muestra de hemolinfa, se siguió el procedimiento del Laboratorio Ecobiotech LAB SAC. Para ello, se dejó de alimentar 12 horas antes del muestreo. Luego, la temperatura del agua fue llevada a 5 °C durante 5 min y se extrajo de 100 a 300 mL de hemolinfa de la base del quinto periópodo de cada organismo. Para la extracción, se utilizó una jeringa hipodérmica de 1 mL (aguja 25 G x 16 mm) conteniendo 500 mL de solución anticoagulante SICEDTA refrigerada (2-8 °C). Las muestras fueron diluidas con solución anticoagulante y mantenidas en hielo hasta su análisis.

El conteo de hemocitos se realizó con la cámara Neubauer (Morales & CuellarAnjel, 2014), la concentración de proteínas plasmáticas totales se cuantificó mediante el método colorimétrico de Biuret usando kits de análisis QCA (Gornall et al., 1949), la cuantificación de fenoloxidasa total con el método de oxidación L-DOPA (HernándezLópez et al., 1996) y la cuantificación del anión super- óxido por el método de reducción de NBT (Song & Hsieh, 1994). Los cuatro parámetros inmunológicos fueron evaluados al inicio y final del ensayo.

Calidad de agua y análisis en fresco

Las variables de calidad de agua como temperatura, oxígeno disuelto, pH, alcalinidad, salinidad y amoníaco se midieron con base en las recomendaciones de Rojas et al. (2005, Tabla 1). Para el análisis en fresco, las características como el nivel de lípidos en hepatopáncreas, el grado de infestación por ectoparásitos en branquias y el nivel de gregarinas en intestino fueron determinados con base en lo reportado por Morales y Cuellar-Anjel (2014). Las muestras en fresco fueron observadas directamente en el microscopio, iniciando con el objetivo de menor aumento (4x) y finalizando con el de mayor aumento (10x). Dada la naturaleza de los tejidos, primero se analizó hepatopáncreas, luego branquias y finalmente intestino.

Análisis estadístico

Las asunciones de normalidad y homogeneidad de varianzas fueron evaluadas con las pruebas de Shapiro-Wilk y Levene, respectivamente. Para determinar

diferencias significativas en el crecimiento, sobrevivencia y parámetros inmunológicos, un análisis de varianza (ANOVA) de una vía fue realizado con un nivel de significancia de 0,05. Cuando hubo diferencias significativas, la prueba de Duncan fue aplicada con p < 0,05. Los análisis fueron realizados con el programa SPSS.

Resultados y discusión

Crecimiento y sobrevivencia de P. vannamei

Durante el ensayo, el peso promedio y el incremento de peso semanal no presentaron diferencias significativas (p > 0,05, Tabla

2) entre el control y los tratamientos. Ello indica que la adición de ácidos biliares en el alimento no influyó en el crecimiento de los organismos. Estos resultados contrastan con los obtenidos por Su et al. (2021), quienes lograron mejorar el crecimiento de P. vannamei alimentado con dietas con alto contenido de harina de pescado, similares a los alimentos balanceados comerciales, con dosis de 200 y 300 ppm de ácidos biliares. Asimismo, en dietas con bajo nivel de harina de pescado (10%), el mejor crecimiento se obtuvo a 600 ppm (Li et al., 2023). Esta discrepancia podría deberse

1: Horarios, frecuencia, instrumento o método de la toma de parámetros de calidad de agua de los tanques durante el ensayo

Parámetro

Temperatura

Alcalinidad

Salinidad

Oxígeno disuelto

Potencial de hidrógeno (pH)

Amoníaco

Horario y Frecuencia

6:00 h y 18:00 h, diariamente 6:00, semanalmente

12:00 h, semanalmente

6:00 h y 18:00 h, diariamente

12:00 h, semanalmente 12:00 h, semanalmente

Instrumento o método

Termómetro YSI Pro 20

Espectrofotometría/YSI 9100

Refractómetro manual

Salinómetro 0-100 ppt Stx-3 Vee Gee

Oxímetro YSI Pro 20

Potenciómetro portátil DPH-2

Espectrofotometría/YSI 9100

Figura 1. Ejemplares de Penaeus vannamei al inicio (a) y final del experimento (b). La coloración de los organismos y el grado de llenura del hepatopáncreas e intestino indican un adecuado estado de salud.
Tabla

a las dosis usadas en esta investigación, las cuales fueron altas (750 – 3750 ppm).

Otro estudio reportando diferencias no significativas en el crecimiento de P. vannamei entre el control y el tratamiento, usó una dosis de 1000 ppm de ácidos biliares en el alimento (Granda, 2022).

Lo anterior, sugiere que dosis elevadas de ácidos biliares en el alimento no tienen un efecto promotor en el crecimiento de P. vannamei, debido a que podrían causar daño oxidativo al organismo a partir de concentraciones de 500 ppm (Su et al., 2021).

El análisis estadístico mostró que la sobrevivencia promedio final presentó diferencias significativas entre los tratamientos (p < 0,05), siendo mayor a 750 y 2250 ppm, con 93,9% y 96,9%, respectivamente (Tabla 2).

Estos resultados difieren de los reportados por Su et al. (2021), quienes no encontraron diferencias significativas en la sobrevivencia. No obstante, y al menos bajo nuestras condiciones experimentales, niveles intermedios de ácidos biliares en el alimento favorecieron una mayor sobrevivencia, probablemente debido a una mayor estimulación del sistema inmune, como ha ido reportado recién-temente (Kumar et al., 2019; Li et al., 2023a).

Parámetros inmunológicos de P. vannamei El conteo final de hemocitos y su variación no presentaron diferencias significativas (p > 0,05). No obstante, el nivel de hemocitos, de 108 células/mL, fue superior a las 106 células/mL reportado en un estudio con adición de ácidos biliares en dietas con alto contenido de harina de pescado (Su et al., 2021). Esta diferencia indica que el sistema inmune estuvo estimulado, no por los ácidos biliares, sino por los niveles de temperatura alcanzados en el ensayo (26,2 a 27,8 °C). Dichos valores están muy cerca de 28 °C, temperatura a la cual se obtuvo el mayor valor de los parámetros inmunológicos en el rango térmico para el cultivo de P. vannamei (Martín Ríos et al., 2022).

Tabla 2: Peso promedio final, incremento de peso y sobrevivencia de Penaeus vannamei alimentado con dietas suplementadas con tres dosis de ácidos biliares. Promedios con superíndice diferente indica diferencias significativas.

Dosis de ácido biliar en la dieta (ppm)

Peso promedio final (g)

10,27a ± 0,21

10,07a ± 0,40

10,80a ± 0,72

9,98a ± 0,72

Incremento de peso promedio (g)

4,56a ± 0,23

4,39a ± 0,62

5,05a ± 0,84

4,09a ± 0,65

Sobrevivencia

Tabla 3: Concentración de proteínas plasmáticas y variación de la concentración de proteínas plasmáticas de Penaeus vannamei alimentado con dietas suplementadas con tres dosis de ácidos biliares. Promedios con superíndice diferente indica diferencias significativas.

Dosis de ácido biliar en la dieta (ppm)

Concentración de proteínas plasmáticas (mg/mL)

119,57a ± 1,35

124,22b ± 1,28

126,86c ± 1,00

120,88a ± 0,98

Variación de la concentración de proteínas plasmáticas (mg/mL)

5,13ab ± 1,82

5,53ab ± 2,17

8,78b ±2,53

4,25a ± 2,31

La concentración final de proteína plasmática sugiere que hay un efecto promotor de los ácidos biliares sobre este parámetro, estimulando el sistema inmune. Las concentraciones de proteína plasmática obtenidas en este estudio están dentro del rango de 100 a 130 mg/mL establecido para P. vannamei (Gullian, 2001; Molina et al., 2001). Un aspecto relevante es que al obtener niveles normales de este parámetro inmunológico en el tratamiento control, demuestra que el alimento balanceado cubre los requerimientos nutricionales necesarios para mantener los niveles apropiados de proteínas plasmáticas en P. vannamei, y que la adición de ácidos biliares a razón de 2 250 ppm en el alimento aumenta la concentración de estas proteínas.

La concentración de fenoloxidasa en la hemolinfa al final del ensayo no mostró diferencias significa- tivas entre el control y los tratamientos (p > 0,05). En contraste, su variación en el tiempo fue signi- ficativa (p < 0,05), con un mayor diferencial a 2250 ppm (Tabla 4). Si bien, hubo un efecto de la adición de ácidos biliares en el alimento sobre la variación de la fenoloxidasa, esta

La concentración de proteínas plasmáticas hacia el final del ensayo fue significativamente mayor a 2 250 ppm de ácido biliar en la dieta (p < 0,05, Tabla 3). No obstante, su variación con respecto al inicio del ensayo no mostró diferencias significativas entre el control y los tratamientos conteniendo ácidos biliares (p > 0,05).

representa alrededor del 2%; lo que implica valores muy bajos y una diferencia no tan clara entre los tratamientos. No obstante, los valores obtenidos de fenoloxidasa se encuentran dentro de los rangos normal (200-350 mD.O) y alto (350-500 mD.O) establecidos para P. vannamei (Gullian, 2001; Molina et al., 2001). Los valores relativamente altos de fenoloxidasa, tanto en los tratamientos como en el control, puede deberse a los niveles alcanzados de factores abióticos como la temperatura cercana a los 28 °C por tiempo prolongado, salinidades entre 5‰ y 25‰, oxígeno disuelto en niveles adecuados y niveles bajos de amonio (Martín Ríos et al., 2022).

La concentración de anión superóxido en la hemolinfa presentó el mismo patrón que la fenoloxidasa, con diferencias significativas solo en la variación a lo largo del tiempo (p < 0.05, Tabla 5) y con el mayor diferencial a 2250 ppm. Asimismo, los valores finales de anión superóxido obtenidos en este estudio se encontraron dentro del rango establecido como bueno (1,5-2,0 D.O) para P. vannamei (Gullian, 2001; Molina et al., 2001), excepto para el control.

Los niveles adecuados de anión superóxido se explicarían por los niveles apropiados de oxígeno disuelto, pues en condiciones de hipoxia, la concentración del anión

ALIMENTACIÓN

superóxido disminuye (Martín Ríos et al., 2022). Aquí, es importante destacar que, aunque se ha establecido un valor mínimo en condiciones fisiológicas normales, es necesario establecer un valor máximo. Ello, debido a que las especies reactivas de oxígeno, como el anión superóxido, en concentraciones elevadas pueden causar peroxidación lipídica y alterar la integridad estructural de las membranas celulares, lo que lleva a la liberación masiva de alanina aminotransferasa y aspartato aminotransferasa en la hemolinfa, pudiendo causar daño oxidativo en el hepatopáncreas (Su et al., 2021).

Calidad de agua y análisis en fresco

Los parámetros físicos y químicos de la calidad de agua fluctuaron dentro de los valores establecidos para el cultivo de P. vannamei (Instituto Nacional de Pesca, 2018), excepto el amoníaco, que fue incrementando durante el ensayo. El oxígeno disuelto varió de 3,9 a 4,4 mg/L por la mañana y de 4,5 a 5,1 mg/L por la tarde. La temperatura osciló de 26,2 a 27,8 °C por la mañana y de 26,9 a 28,5 °C por la tarde.

El pH fluctuó entre 7,4 y 7,8, la alcalinidad de 140 a 205 mg/L, la salinidad de 21 a 22 ‰ y el amoníaco (NH3) de 0,05 mg/L al inicio del ensayo, hasta 0,39 mg/L al final del ensayo. Aunque el amoníaco excedió el nivel óptimo de 0,1 mg/L, no tuvo un efecto negativo sobre la sobrevivencia de P. vannamei.

Respecto al análisis en fresco, realizado al inicio y final del ensayo, el grado y nivel de lípidos en los túbulos hepatopancreáticos de los organismos empezó con G1 (0% a 85% de lípidos) en todos los tratamientos y terminó con G3 (90% a 96% de lípidos), excepto en la dosis de 2 250 ppm, que alcanzó el G4 (96% a 100% de lípidos). Con esta dosis de ácidos biliares, se alcanza los requerimientos óptimos necesarios en el organismo, para que alcance el nivel más alto de lípidos en los túbulos hepatopancreáticos. Para esto, las dietas no solamente deben cubrir los requerimientos de sustancias grasas, sino que también se absorban eficientemente en el intestino, siendo necesario que estas grasas previamente se emulsifiquen; proceso que es realizado por los ácidos biliares (Tacon, 1989; Mukhopadhyay y

Tabla 4: Concentración final de fenoloxidasa y variación de la concentración de fenoloxidasa en la hemolinfa de Penaeus vannamei alimentado con dietas suplementadas con tres dosis de ácidos biliares. Promedios con superíndice diferente indica diferencias significativas

Dosis de ácido biliar en la dieta (ppm)

Control

750 2250 3750

Concentración final de fenoloxidasa (mD.O)

370a ± 10

349b ± 18

378c ± 18

335a ± 14

Variación de la concentración de fenoloxidasa (mg/mL)

5a ± 1,1

7bc ± 1,1

8c ± 1,5

6ab ± 1,1

Tabla 5: Concentración final del anión superóxido dismutasa y variación de la concentración del anión superóxido en la hemolinfa de Penaeus vannamei alimentado con dietas suplementadas con tres dosis de ácidos biliares. Promedios con super índice diferente indica diferencias significativas

Dosis de ácido biliar en la dieta (ppm)

Control

750 2250 3750

Concentración final de anión superóxido (D.O)

1,45a ± 0,13

1,64a ± 0,02

1,65a ± 0,09

1,63a ± 0,03

Maitra, 2004; Romano et al., 2019).

Conclusiones

Este estudio demuestra que la suplementación de ácidos biliares en la dieta de Penaeus vannamei a razón de 2250 ppm favoreció la sobrevivencia e indujo un mayor nivel de producción de proteínas plasmáticas en la hemolinfa, fortaleciendo su sistema inmune. Otro aspecto importante, es el hecho de que la suplementación con estos componentes, sobre todo a 2250 ppm, mantiene altos niveles de contenido lipídico en el hepatopáncreas, lo que favorece la salud de este órgano clave y asegura una adecuada digestión y asimilación de nutrientes.

Variación de la concentración de anión superóxido (D.O)

0,26a ± 0,04

0,39ab ±0,05

0,53b ± 0,14

0,37a ±0,04

Dos aspectos importantes para estudios posteriores sería evaluar el nivel de expresión de los genes relacionados con el sistema inmune y los procesos digestivos a nivel de hemolinfa y hepatopáncreas, respectivamente; así como la modulación de la comunidad microbiana en el intestino de manera que nos permitan comprender de manera integral el efecto de la suplementación de los ácidos biliares sobre el desempeño biológico de los organismos bajo condiciones comerciales•

Para más información sobre este artículo, contactar a: elopez@uns.edu.pe

Principios sobre la calidad de agua en la acuicultura del camarón

Conforme la población humana se incrementa, la necesidad de producir bienes y servicios se ha multiplicado de manera impresionante, lo que resulta en una enorme cantidad de uso del agua, con la consiguiente contaminación de la misma. La calidad del líquido vital ha incrementado su importancia, debido a que este factor no puede ser independiente de su cantidad. Esta es una condición crítica en usos como doméstico, agrícola, industrial, pesquerías, producción acuícola, recreación y la salud de los ecosistemas. La calidad del agua es un tema complejo, pero generalmente se enfoca en el tratamiento para uso doméstico y los métodos para tratar los efluentes de manera eficiente. El adecuado manejo de los recursos acuáticos requiere de un amplio conocimiento sobre la aplicación de parámetros para medir y garantizar la calidad de agua.

Este elemento es vital fisiológicamente, juega un rol esencial en el control de la temperatura de los organismos, y es un solvente interno para gases, minerales, nutrientes orgánicos y desechos metabólicos. Las sustancias se mueven entre las células de los organismos vía compuestos especialmente del agua; además, es un importante reactivo del metabolismo, de ella depende la turgidez de las células y es fundamental para las funciones excretoras.

En suma, el agua es esencial para el sostenimiento de la vida y por consiguiente, su importancia es crítica para la producción de bienes y servicios, entre ellos los alimentos, incluyendo la acuicultura. Cualquier propiedad del agua, sea esta física, química o biológica, que ejerza una influencia en el desarrollo natural de los ecosistemas es una variable a considerar en su calidad.

Desde hace más de 150 años, se comprobó de manera definitiva la transmisión de muchas enfermedades a través del agua. Durante mucho tiempo, la consideración más importante fue la creación de suministros de agua adecuados, higiénicos y seguros. Sin embargo, las fuentes (superficiales o subterráneas) se han venido contaminando cada vez más, debido al incremento poblacional como también por las actividades industriales y agrícolas.

Las exigencias de los usuarios sobre este recurso han creado conciencia de que la calidad del agua varía, haciendo presión porque las fuentes de agua estén libres de color, turbiedad, sabor, olor, nitratos, iones metálicos peligrosos y una amplia variedad de químicos orgánicos como pesticidas, solventes clorados y microplásticos. Así también, se ha definido el uso del recurso según su calidad, determinando que el agua salobre no se puede usar para consumo humano, riego en agricultura o para consumo del ganado, y la única aplicación que se le puede dar es para el cultivo de especies bioacuáticas adaptadas a este ecosistema, como es el caso del camarón.

De allí que se hacen necesarias e importantes las mediciones cuantitativas, para determinar la calidad y buen uso del agua.

Acuicultura

La primera referencia escrita sobre acuicultura aparece en China hace 2500 años, en un manuscrito que trata sobre el cultivo de la carpa (Stigney, 2000). Los egipcios pudieron haber desarrollado prácticas de cultivo de peces antes que los chinos, y se sabe que los romanos estuvieron involucrados en el cultivo de ostras y probablemente otras especies. El cultivo de camarón data de los años 800 AC en Asia (Stickney, 2000), y de manera técnica se inició en Japón en la década de 1930, cuando el Dr. Motosaku Fujinaga indujo el desove de la especie Penaeus japonicus (G. Chamberlain, 2011). No fue hasta inicios de 1970 cuando la tecnología japonesa fue transferida a otros países de Asia y América, empezando el desarrollo de la producción de camarón en Ecuador.

El uso de estanques es el sistema de producción más común en la acuicultura y es el que se ha adoptado en nuestro país.

Siendo el agua salobre el medio en que se desenvuelve de manera natural nuestra especie nativa cultivada, Penaeus vannamei, la calidad de este líquido es el primer elemento a considerar para la sostenibilidad de los cultivos; por eso, es necesario conocer las características del medio acuático y los aspectos físicos, químicos y biológicos de los

componentes que validan la calidad del agua, así como la importancia de las mediciones en la práctica del cultivo acuícola.

El objetivo del presente artículo es proporcionar los fundamentos para la comprensión de los parámetros físicos, químicos y biológicos de la calidad del agua, y el análisis cuantitativo de los criterios relacionados con la producción camaronera en todas sus etapas de desarrollo.

Parámetros físicos que influyen en

la acuicultura

Uno de los parámetros que se deben controlar son los condicionantes físicos. Los indicadores clave a medir son los siguientes:

Temperatura

La temperatura es una medida del contenido de calor de un objeto, que resulta del contenido de energía del mismo. La principal fuente de energía en los sistemas ecológicos es la radiación solar. El balance energético de la Tierra está esencialmente equilibrado, ya que la radiación solar entrante es compensada por la reflexión de esta radiación y la re-radiación de la energía absorbida por el planeta en forma de radiación de onda larga.

La temperatura de los cuerpos de agua naturales varía en respuesta a los cambios diarios y estacionales en la radiación solar. La penetración de la luz en los cuerpos de agua, que regula la profundidad a la que ocurre la fotosíntesis, está fuertemente influenciada por la claridad del agua.

La radiación solar calienta las capas superficiales del agua en lagos, embalses y estanques más rápidamente que el agua en capas más profundas. Los cuerpos de agua a menudo experimentan estratificación térmica, en la que el agua más cálida y ligera de la capa superficial no se mezcla con el agua más fría y pesada de las capas más profundas. El calor también favorece una mayor velocidad en la mayoría de los procesos químicos y físicos, y la respiración de los organismos aumenta con temperaturas más altas, siempre dentro del rango de tolerancia térmica de los organismos.

La temperatura del agua es una variable

importante en la acuicultura, pero en la mayoría de los tipos, esta práctica no se puede controlar y depende de la cantidad de radiación solar, la temperatura del aire o del agua. Los animales acuáticos se ven fuertemente influenciados por la temperatura; por esta razón, las operaciones de acuicultura deben programarse para que correspondan a la temperatura adecuada del agua, por lo que los controles de temperatura son críticos para operaciones eficientes.

La temperatura es un factor importante que afecta el crecimiento y la supervivencia de todos los organismos, ya que los camarones son animales de sangre fría, es decir, ectotermos. Esto significa que su temperatura corporal varía en función de la temperatura del ambiente.

Los animales ectotermos son muy sensibles a los cambios de temperatura. Por ejemplo, en los estanques de engorde de camarones, la temperatura ambiental afecta a su tasa metabólica y, por tanto, su temperatura corporal varía con la del agua. Así, cuando esta variable está fuera del rango óptimo para la especie, el desarrollo animal se resiente, pudiendo llegar incluso a la muerte. La temperatura, además, cambia el poder de toxicidad de algunas sustancias tales como el amonio (NH4), que aumenta sus efectos perjudiciales cuanto más se calienta el agua. Las especies de aguas cálidas generalmente no se reproducen a temperaturas inferiores a 20 ºC o no crecen a temperaturas inferiores a 10 y 15 ºC. Las especies tropicales sufrirán de estrés o morirán en rangos de temperaturas de 10 a 20 ºC.

Los rangos de temperatura citados anteriormente son muy generales, y cada especie –ya sea de agua fría, caliente o tropical- tiene sus requisitos de temperatura específicos.

Para el caso del camarón P. vannamei, las temperaturas óptimas para su desarrollo están en el rango de 25 y 30 °C.

Turbidez

Las aguas naturales contienen partículas en suspensión que aumentan la turbidez, aportan color aparente e interfieren con la penetración de la luz. Estas partículas se originan por la erosión, los desechos

vegetales de las cuencas hidrográficas y los microorganismos presentes en los cuerpos de agua. Las partículas suspendidas varían desde coloides que permanecen en suspensión indefinidamente hasta partículas más grandes de limo y arena que se mantienen en suspensión debido a la turbulencia. Las velocidades de sedimentación de las partículas en aguas tranquilas se estiman mediante la ecuación de la ley de Stokes (Boyd, 2020) y dependen principalmente del diámetro y la densidad de las partículas: las que son grandes y densas se asientan más rápido. Las partículas orgánicas se depositan lentamente debido a su baja densidad, aunque los organismos planctónicos tienen adaptaciones que reducen su velocidad de asentamiento.

La radiación solar, en todas sus longitudes de onda, se atenúa rápidamente; cerca del 50% es reflejado o convertido en calor dentro del primer metro de profundidad. En el espectro visible, el agua clara absorbe con mayor intensidad la luz roja y naranja, seguida de la violeta, y luego la amarilla, verde y azul; sin embargo, las partículas suspendidas en el agua tienden a absorber todas las longitudes de onda. La sedimentación de los sólidos en suspensión puede provocar el “relleno” gradual de los cuerpos de agua y la destrucción de los organismos bentónicos. La turbidez y el color en los cuerpos de agua reducen las tasas de fotosíntesis y disminuyen la productividad. El agua clara es más agradable a la vista, preferida para el uso recreativo y altamente valorada para el consumo humano. Para controlar la turbidez y el color del agua, se emplean técnicas de control de erosión, sedimentación, coagulación química y filtración.

En resumen, la turbidez es la ausencia de transparencia del agua, provocada por la presencia de materiales orgánicos o minerales. El grado que manifiesta depende de la cantidad de partículas suspendidas o el tamaño y naturaleza de dichas moléculas, que pueden tener un origen inorgánico (arcillas), orgánico o biológico (plancton). Esta variable puede ser empleada como indicador para decidir si es necesaria o no la adición de nutrientes. Estos compuestos son, por otra parte, responsables del riesgo de eutrofización (proceso de contaminación que se produce cuando las aguas reciben

un exceso de nutrientes, especialmente nitrógeno y fósforo) que conlleva la práctica acuícola, e incrementan la concentración de nitrógeno, fósforo y otros nutrientes destinados a estimular el crecimiento del fitoplancton del que se alimentan los crustáceos (Boyd, 2018).

La presencia de turbidez, por ejemplo, limita la entrada de luz y la habilidad de los peces para capturar el alimento, así como las reacciones de fotosíntesis, y esto provocará menor concentración de oxígeno disuelto.

Disco de Secchi

El disco de Secchi se utiliza para estimar la claridad del agua, y es la manera más elemental, económica y práctica para lograr este fin. Sin embargo, existe una relación estrecha entre la visibilidad del disco de Secchi y la concentración de partículas suspendidas en el agua. La fuente de turbidez asociada con una reducción en la visibilidad del disco de Secchi suele determinarse a partir del color aparente del cuerpo de agua y la apariencia de las partículas de sólidos en suspensión.

Eliminación de sólidos suspendidos

Los métodos más comunes para controlar los sólidos en suspensión incluyen la protección de las cuencas hidrográficas para prevenir la erosión y la contaminación por sólidos suspendidos totales (TSS) en el flujo superficial, así como el control de la erosión en los cuerpos de agua para evitar la erosión de las orillas y la resuspensión de sedimentos.

Los sólidos en suspensión pueden eliminarse de los efluentes al hacerlos pasar a través de estanques de sedimentación. La coagulación química también puede utilizarse para eliminar los sólidos suspendidos en cuerpos de agua pequeños.

Parámetros químicos que influyen en la acuicultura

Para el cultivo de la acuicultura es primordial garantizar la calidad de las aguas donde se crían las diferentes especies, y por ello, ciertos parámetros de control son indispensables para optimizar la producción y cultivo. Además, sabemos que no solo se trata de medir un parámetro de forma aislada, sino de cómo se relacionan. A continuación, se detallan las definiciones de

los parámetros químicos clave:

Oxígeno disuelto

Las concentraciones de oxígeno y otros gases atmosféricos disueltos en el agua en condiciones de saturación varían según las presiones parciales y las solubilidades de los gases, así como la temperatura y la salinidad del agua. Las concentraciones de oxígeno y otros gases disueltos en saturación disminuyen con el aumento de la altitud (debido a una menor presión barométrica), mayor salinidad y temperaturas más altas. Sus concentraciones en el agua pueden expresarse en miligramos por litro, pero también pueden reportarse en mililitros por litro, porcentaje de saturación, tensión de oxígeno u otras unidades.

La tasa de difusión de gases en los cuerpos de agua está relacionada con diversos factores, pero los más importantes son la concentración de cada gas ya presente en el agua, la superficie de contacto entre el aire y el agua, y el nivel de turbulencia en el líquido. El oxígeno disuelto es de máxima importancia en la calidad del agua, ya que es esencial para la respiración aeróbica (4-5 mg/L –saturación es una condición básica para el crecimiento adecuado del camarón). La absorción de oxígeno por los camarones está controlada más por la presión de este elemento en el agua que por la concentración de oxígeno disuelto en miligramos por litro. Una presión baja puede causar estrés o incluso la muerte de los organismos acuáticos. Además, concentraciones excesivas de gases disueltos (incluyendo el oxígeno) en el agua pueden provocar un trauma por burbujas de gas en los camarones y otros animales acuáticos.

Este es un parámetro fundamental, sino el más importante, ya que si hay déficit de oxígeno se ve afectado el crecimiento y la conversión alimenticia de los organismos. El oxígeno puede aumentar por el proceso de difusión de la atmósfera y por la fotosíntesis. Durante el día, el oxígeno disuelto consumido por los animales es compensado por el proceso de fotosíntesis en algas y otras especies vegetales, pero por la noche, tanto animales como plantas consumen oxígeno, lo que disminuye de manera significativa la cantidad de oxígeno disuelto, llegando a su valor mínimo por la madrugada. La

concentración de este parámetro en el agua de salida en cultivos de aguas cálidas debe ser superior a 4 ppm y mayor a 7 ppm en cultivos de aguas frías.

El pH, alcalinidad y dióxido de carbono El pH, o logaritmo negativo de la concentración de iones de hidrógeno, es una variable fundamental en la calidad del agua, ya que el ion hidrógeno influye en muchas reacciones químicas. Debido a que el dióxido de carbono disuelto es ácido, el agua de lluvia que está saturada con este gas es naturalmente ácida, con un pH aproximado de 5.6.

El carbonato de calcio, el silicato de calcio y los feldespatos presentes en los suelos y otras formaciones geológicas se disuelven por la acción del dióxido de carbono, lo que aumenta la concentración de bicarbonato en el agua y eleva el pH. La concentración total de bases titulables, generalmente bicarbonato y carbonato, expresada en miligramos por litro de carbonato de calcio, es lo que se conoce como alcalinidad total. La alcalinidad incrementa la disponibilidad de carbono inorgánico para la fotosíntesis en aguas con pH bajo o moderado. Los cuerpos de agua con una alcalinidad moderada o alta están bien amortiguados contra fluctuaciones diarias amplias en el pH, que resultan de la eliminación neta de dióxido de carbono por la fotosíntesis durante el día y su retorno al agua por los procesos respiratorios durante la noche, cuando no ocurre la fotosíntesis.

El rango óptimo de pH para el bienestar del camarón está entre 7 y 8.5, mientras que los límites de pH que pueden causar la muerte por acidez o alcalinidad extrema están alrededor de 4 y 11, respectivamente. Los camarones evitan altas concentraciones de dióxido de carbono, aunque pueden tolerar hasta 20 mg/L o más si hay suficiente oxígeno disuelto en el agua.

Alcalinidad

Corresponde a la concentración de bases totales en el agua, es expresada en mg/L de carbonato de calcio equivalentes y está representada por iones de carbonato y bicarbonato.

La alcalinidad óptima para el cultivo de camarón en estanques es de 80 mg/lt

CaCO3 (carbonato de calcio) o más.

Dureza

Se define como la concentración de iones los cuales son Ca y Mg y se expresan en mg/L de carbonato de calcio. Pero no son los únicos, hay otros iones que contribuyen a la concentración de este parámetro. Se clasifica en dureza blanda (0 – 75 mg/L), moderada (75 – 150 mg/L), dura (150- 300 mg/L) y muy dura (mayor a 300 mg/L). Los niveles considerables de dureza y alcalinidad que se recomiendan están entre 20 y 200 mg/L.

Una dureza inferior a 20 ppm de carbonato de calcio afecta los procesos reproductivos y de crecimiento en los camarones. Los niveles de dureza del agua para el cultivo de camarón en Ecuador deben estar cercanos a 1000 mg/L CaCO3, tomando en consideración que el carbonato de calcio es esencial para el proceso de muda o ecdisis.

Compuestos nitrogenados

Estos se originan como parte de la desintegración del material orgánico y el metabolismo de los organismos que habitan en el agua.

Los compuestos nitrogenados provienen del excremento de los animales y la descomposición de materia orgánica, siendo tóxicos los derivados como el amonio y el nitrito. El amonio en su forma ionizada (NH3) es tóxico cuando el pH y la temperatura son altas, y el oxígeno disuelto es bajo. Lo ideal es mantener los niveles de amonio por debajo de 0,1 ppm. La exposición prolongada a cantidades mayores puede causar daños en los órganos y por tanto una disminución en el crecimiento. Los nitritos (NO2=) son un paso intermedio entre el amoníaco (NH4+) y los nitratos (NO3). Al igual que el amonio, los nitritos y nitratos son altamente tóxicos, por lo que sus niveles deben ser inferiores a 0.1 ppm.

Fosfatos

En los estanques se presenta una cantidad considerable de fosfatos, ya que los suelos absorben fósforo y por su naturaleza insoluble permanece en contacto con el agua y a su vez, con los organismos que en ella habitan.

En el caso de los fosfatos (PO4=), los cuales son ocasionados por el exceso de alimentos concentrados, generan el aumento del fitoplancton, que disminuye las concentraciones de oxígeno disuelto. Por esta razón, es prudente mantenerlos en niveles entre 0.6 y 1.5 ppm.

Salinidad

Es la concentración de todos los iones disueltos en el agua, que provienen de minerales y cloruros principalmente. Se debe considerar la presión osmótica y la conductividad eléctrica que incrementa cuantas más sales tengamos en el agua. Se ha estudiado que en zonas de mucha precipitación, el nivel de salinidad es de 150 a 250 mg/L; en zonas de poca lluvia puede ser de 500 a 2500 mg/L, y en aguas de pozos profundos, los niveles de salinidad están por encima de 2500 mg/L.

Es necesario tomar en consideración que el camarón es una especie eurihalina (es decir, capaz de vivir en aguas que poseen un amplio rango de concentración de sales),por eso su metabolismo está diseñado para desarrollarse en un amplio rango de salinidad. Sin embargo, es necesario determinarlo porque los extremos de este parámetro no le son favorables al crustáceo para su buen crecimiento.

Dióxido de carbono (CO2)

El CO2 es esencial para la fotosíntesis e influye en el valor de pH. La concentración de este parámetro está determinada por la respiración de los organismos presentes en el agua, al igual que por la fotosíntesis y la descomposición de la materia orgánica.

El agua empleada para acuicultura del camarón es de origen estuarino (aguas salobres). Esta fuente posee distintas propiedades físicas, biológicas y químicas, que pueden variar según el flujo de las mareas y son cruciales en la productividad. Al evaluar estos parámetros críticos se pueden tomar acciones correctivas para mantener una calidad de agua dentro de los parámetros adecuados para la especie cultivada.

La concentración de CO2 entre 1 y 10ppm en el agua es la óptima para el desarrollo del camarón en cultivo.

¿Cómo analizar los parámetros químicos en el establecimiento acuícola?

El control de la calidad del agua debe ser una parte fundamental de las actividades diarias en la acuicultura. Actualmente, existen varias técnicas de análisis químico en aguas, unas cualitativas y otras cuantitativas, siendo estas últimas las más recomendadas, debido a su nivel de precisión y repetibilidad. En el caso de las cualitativas (kits rápidos), proporcionan información aproximada, además de estar sujetos a la experiencia y buenas prácticas del analista.

También existen equipos de detección multiparamétricos o monoparamétricos electrónicos. La recomendación en el uso de este tipo de equipos es la precisión y exactitud con que leen el valor de los parámetros. Para optar por una decisión confiable al querer adquirir un sistema de lectura automático de parámetros, se debe basar en que estos equipos cuenten con LOQ, que es el Límite de Cuantificación, y el LOD, que es el Límite de Detección. Ambos índices son esenciales para la confiabilidad del equipo; además, se debe pedir el porcentaje de incertidumbre de la lectura. Otro factor a considerar es la diferencia de valores que existen en una misma muestra, entre el método tradicional y el electrónico.

Los resultados que se obtengan deben ser confiables, pues de ello dependen las acciones correctivas que se deban tomar, además de la supervivencia de la especie en cultivo.

Microorganismos y calidad de agua

El fitoplancton y las bacterias tienen un mayor efecto sobre la calidad del agua que otros microorganismos acuáticos. El fitoplancton es el principal productor de oxígeno, mientras que las bacterias son responsables de la mayoría de la descomposición de materia orgánica y el reciclaje de nutrientes. Se debe obtener una visión general del crecimiento microbiano, la fotosíntesis y la respiración, e implementar los métodos para medir la producción primaria y la respiración en cuerpos de agua. Las actividades fisiológicas combinadas de los organismos productores y descomponedores en los cuerpos de agua hacen que el pH y la concentración de oxígeno disuelto aumenten y la concentración de dióxido de carbono disminuya durante

el día, mientras que ocurre lo contrario durante la noche. En los cuerpos de agua no estratificados, generalmente existen condiciones aeróbicas en la columna de agua y en la interfaz sedimento-agua. Sin embargo, el sedimento suele ser anaeróbico a profundidades superiores a unos pocos centímetros en cuerpos de agua oligotróficos (cuerpo de agua que ofrece escasas condiciones para sustentar la vida), o mayores a unos pocos milímetros en cuerpos de agua eutróficos (cuerpo de agua rico en nutrientes y minerales). En el sedimento (o agua) anaeróbico, la actividad metabólica de las bacterias quimioautótrofas es importante en la descomposición de compuestos orgánicos resultantes de la fermentación. Aunque las bacterias quimioautótrofas son beneficiosas para asegurar una descomposición más completa de la materia orgánica, los desechos metabólicos tóxicos, particularmente el nitrito y el sulfuro de hidrógeno producidos por estos microorganismos, pueden ingresar a la columna de agua. Las algas verdiazules, a menudo llamadas cianobacterias, tienden a dominar las comunidades de fitoplancton en aguas eutróficas. Estas algas pueden causar capas superficiales y estratificación térmica poco profunda, ser tóxicas para otras algas y animales acuáticos, o producir problemas de sabor y olor. Existen parámetros que nos permiten determinar la afectación al cultivo de camarón debido a la presencia de materia orgánica

Demanda bioquímica de oxígeno (DBO)

La demanda bioquímica de oxígeno se define como la cantidad de oxígeno que los microorganismos consumen para descomponer la materia orgánica en el agua. La prueba se la realiza para establecer el poder contaminante de la materia orgánica, en términos de la cantidad de oxígeno que requieren. Es un procedimiento de bioensayo, sumamente importante, que mide el oxígeno consumido por organismos vivos, especialmente bacterias, al utilizar la materia orgánica de un residuo. De esta forma, la DBO es un indicador de la contaminación orgánica del agua, las aguas residuales y el líquido que ingresa a los centros de producción, y se utiliza para evaluar su calidad y para establecer la calidad de los efluentes o aguas residuales. Es definitivamente necesario conocer estos

valores si se están utilizando sistemas de recirculación para producción de camarones. Para medirlo, es necesario disponer del instrumental químico, estableciendo la diferencia de oxígeno disuelto (OD) de una muestra durante cinco días. Se registra el contenido inicial de OD de un volumen conocido de muestra. Se mide el contenido final de OD después de un período de incubación de cinco días a 20 °C. El valor de la DBO se determina a partir del agotamiento y el tamaño de la muestra utilizada.

La legislación nacional establece a través del Acuerdo 097 A, Tabla 2: “Criterios de calidad admisibles para la preservación de la vida acuática y silvestre en aguas dulces, marinas y de estuarios”, un criterio de calidad de 20 mg/l. Este valor expresa la calidad de agua que deberíamos tener para el ingreso a los centros de producción. Así mismo, el Acuerdo Ministerial establece en la Tabla 10 los límites máximos permisibles para la descarga a un cuerpo salino, con un valor de 600 mg/l.

Conclusión

Resumiendo, este artículo busca exponer los requisitos de la calidad de agua para la producción camaronera. La brevedad ha sido una consideración importante, y se han incluido textos y parámetros vitales para el conocimiento de esta industria. Para quienes opinen que hemos sido demasiado breves, solo podemos rogar su comprensión y recomendamos, en caso de querer profundizar sobre cualquier aspecto aquí indicado, que se pongan en contacto con el autor, quien puede sugerirles lecturas adicionales que les ayuden a resolver algún problema particular sobre la calidad de agua en su propia producción de camarón•

Bibliografía consultada:

- Boyd, C. Introduction to Quality Water, 3ra Edition. 2020. Springer Ed.

- Clair N. Sawyer. Perry L. Mc Carthy, Gene F. Parking. Chemistry for Environmental Engineering, 1994. McGraw-Hill.

- Chamberlain G. 2018. History of shrimp farming, Summarized from The Shrimp Book. Global Aquaculture Advocate.

ESTADÍSTICAS ÍNDICE

Edición 163 - Febrero 2025

75 81 84 Exportaciones de camarón Reporte de mercado de EE. UU. Reporte de mercado de China

CAMARÓN

Estadísticas de Comercio

Exterior

Elaborado por: María Andrea Dicindio - Subgerente de Comercio Exterior de la Cámara Nacional de Acuacultura

EVOLUCIÓN DE EXPORTACIONES 2010 - 2024

La gráfica presentada muestra un crecimiento constante en el volumen y valor de las exportaciones de camarón, con un incremento notable hasta 2022, cuando se alcanzó el pico máximo de ingresos. Aunque a partir de 2023 el volumen exportado se mantiene en niveles récord, el 2024 muestra una ligera reducción en el valor de las exportaciones que se da, principalmente, por ajustes en los mercados internacionales.

Este desempeño resalta el fortalecimiento del sector camaronero, evidenciando su capacidad productiva y consolidación en el mercado global, así como la necesidad de estrategias para mantener la rentabilidad ante fluctuaciones comerciales con los principales mercados de destino.

Fuente: Estadistic S.A.

Elaborado por: Cámara Nacional de Acuacultura

LIBRAS EXPORTADAS: COMPARATIVO MENSUAL 2020 - 2024

Las exportaciones de camarón han mostrado un incremento constante desde 2020 hasta 2024 en casi todos los meses, con algunos meses alcanzando picos considerables.

Fuente: Estadistic S.A.

Elaborado por: Cámara Nacional de Acuacultura

Se observa que en el año 2020 el volumen de exportación mensual es significativamente más bajo en comparación con los años siguientes debido a los efectos de la pandemia de COVID-19. Sin embargo, para los años siguientes, se evidencia un aumento significativo en las exportaciones reflejando una clara recuperación del sector.

En mayo de 2024, Ecuador alcanzó un récord histórico al exportar 275 millones de libras de camarón, un hito impulsado por la optimización de su producción para obtener camarones de tallas más grandes. Este logro refleja la capacidad del sector para adaptarse a las tendencias del mercado internacional, maximizando tanto la calidad como el valor del producto exportado. No obstante, para el mes de diciembre del 2024 se produjo una caída importante debido, principalmente, a una reducción en la demanda del mercado chino.

PARTICIPACIÓN POR MERCADOS DESTINO DICIEMBRE 2023 VS DICIEMBRE 2024

El siguiente gráfico muestra la participación porcentual de las exportaciones de camarón por destino en libras durante diciembre del 2023 y diciembre del 2024. Como se puede observar, aunque China sigue siendo el principal mercado, se observa una ligera disminución en su participación de 5.36 puntos. Por el contrario, Europa presenta un aumento en su participación de 5.72 puntos porcentuales.

Fuente: Estadistic S.A.

Elaborado por: Cámara Nacional de Acuacultura

PRINCIPALES PAÍSES DESTINOS (MILLONES DE LIBRAS)

ENERO - DICIEMBRE (2023 VS 2024)

Fuente: Estadistic S.A.

Elaborado por: Cámara Nacional de Acuacultura

La tendencia general muestra crecimiento en todos los países/regiones, excepto en China que, aun siendo el principal destino de exportación, presenta una disminución significativa en el volumen exportado. Por otro lado, se puede observar un crecimiento en Estados Unidos, país que experimentó un aumento del 4%, pasando de 455 a 473 millones de libras entre el período enero-diciembre del 2024 versus el mismo período del 2023. En cuanto al volumen exportado al resto del mundo, cabe resaltar el notable esfuerzo del sector camaronero por diversificar sus mercados tras la pandemia del COVID-19.

EVOLUCIÓN

DE EXPORTACIONES

(MILLONES DE LIBRAS): CHINA Y EE. UU.

ENERO - DICIEMBRE 2024

El gráfico presenta la evolución de las exportaciones de camarón ecuatoriano hacia China y Estados Unidos, representando más del 70% del volumen total exportado. En el caso de China, se observa una notable volatilidad a lo largo del periodo, notándose caídas pronunciada en marzo y en diciembre. Por otro lado, las exportaciones hacia Estados Unidos presentan un comportamiento más estable, con fluctuaciones menos abruptas. Durante el primer trimestre de 2024, se aprecia un crecimiento sostenido en los envíos hacia este mercado. Sin embargo, en junio ocurre una importante caída en el volumen exportado, antes de estabilizarse nuevamente en julio.

Fuente: Estadistic S.A.

Elaborado por: Cámara Nacional de Acuacultura

En marzo, las exportaciones a China tocaron su punto más bajo, mientras que las dirigidas a Estados Unidos alcanzaron su nivel máximo. Esta tendencia opuesta sugiere no solo ajustes estratégicos en la asignación de los envíos, sino también variaciones en la demanda de estos mercados fundamentales.

Importación de camarón de China

Kontali Shrimp sander@kontali.no www.shrimp.kontali.no

Después de una modesta recuperación en noviembre, los volúmenes de importación aumentaron un 14% en diciembre alcanzando las 101,390 toneladas, un aumento notable en comparación con noviembre. Esto representó un aumento del 28% interanual, marcando el mes de mayor crecimiento del año. A pesar del sólido desempeño en diciembre, las importaciones totales para 2024 ascendieron a 999,940 toneladas, un descenso del 7% con respecto al 2023. Los precios en diciembre aumentaron $0.23 respecto con noviembre y mostraron solo una ligera mejora de $0.15 interanual. Mientras los precios se estabilizaban terminando el año, se destaca cierta demanda ganada antes del repunte del Año Nuevo chino. El valor de las importaciones se mantuvo a la baja debido a los precios más bajos a principios de año. Este valor en diciembre alcanzó los $561.8 millones, un 14% más que en noviembre y un 32% más interanual. Sin embargo, el monto total para 2024 se situó en $5.07 billones, una caída del 16% en comparación con el 2023, muy por debajo del umbral de $6 billones alcanzados el año pasado. Las ganancias de diciembre proporcionaron un cierto alivio, pero las cifras anuales generales ponen de relieve un año complicado con una demanda más débil.

En diciembre, los volúmenes de importación de P. vannamei disminuyeron un 2% con respecto a noviembre hasta las 71,920 toneladas de LSE, una caída del 8% en comparación con el mismo mes del año pasado. Las importaciones totales para 2024 ascendieron a 973,780 toneladas de LSE, un 8% menos en comparación con 2023. Ecuador siguió siendo el principal proveedor, enviando 45,910 toneladas de LSE, un 12% menos intermensual y un 13% menos interanual. Para el año, las exportaciones totales de Ecuador alcanzaron las 663,910 toneladas de LSE, lo que refleja una disminución del 6% en comparación con 2023. India le siguió como el segundo mayor proveedor, con volúmenes en diciembre de 13,300 toneladas de LSE, un aumento del 60% intermensual y del 12% más interanual. Vietnam ocupó el tercer lugar, con volúmenes de diciembre de 4,720 toneladas de LSE, una caída intermensual del 31% y del 2% interanual. Las importaciones totales de Vietnam para 2024 alcanzaron las 70,070 toneladas de LSE, un 2% menos que en 2023.

En diciembre, los volúmenes de importación de P. monodon aumentaron un 54% con respecto a noviembre, alcanzando las 6,050 toneladas de LSE, un aumento del 28% en comparación con el mismo mes del año pasado, lo que demuestra un mayor interés en la especie en comparación con el año anterior. Las importaciones totales para 2024 ascendieron a 24,630 toneladas de LSE, un 28% más que en 2023. India lideró la oferta enviando 4,990 toneladas de LSE en diciembre, un 53% más intermensual y un 47% más interanual, lo que muestra una mayor producción de monodon en India. Malasia ocupó el segundo lugar en diciembre con volúmenes de 535 toneladas de LSE, un aumento del 968% intermensual y del 1% interanual. Vietnam ocupó el tercer lugar con 353 toneladas de LSE en diciembre, una caída del 20% intermensual y del 31% interanual. Las importaciones anuales de Vietnam alcanzaron las 6,060 toneladas de LSE, una caída del 14% respecto al 2023.

Importaciones de China en 2022, 2023 y 2024 (volúmenes y precio promedio/kg)

Volumen de importación de vannamei en el mercado chino (2022, 2023 y 2024)

Los precios de origen en China han mostrado un movimiento limitado, ya que la demanda sigue condicionada por la débil confianza de los consumidores y una amplia incertidumbre económica. Los volúmenes de importación a lo largo de 2024 han estado disminuyendo de manera constante en comparación con el año anterior, con una excepción en diciembre, destacando los desafíos actuales en el mercado. Si bien el gobierno chino ha prometido medidas de estímulo fiscal, no está claro si impulsarán efectivamente el gasto de los consumidores en el corto plazo. Las importaciones moderadas reflejan un enfoque cauteloso por parte de los compradores chinos, reflejando la lenta demanda del consumidor final. Esta dinámica deja al mercado en una posición difícil al entrar en 2025, con perspectivas de recuperación que dependen de mejoras económicas significativas.

Este informe fue escrito originalmente en inglés por Seafood TIP. El informe fue traducido por la Cámara Nacional de Acuacultura.

Para más información sobre este artículo escriba a: sander@kontali.no

Importación de camarón de Estados Unidos

Autores:

Ángel Rubio

Urner Barry

Las importaciones totales en diciembre alcanzaron los 146.5 millones de libras, un aumento del 2.0% interanual, aunque las cifras YTD muestran una contracción del 3.2% a 1.68 billones de libras. India mantuvo el liderazgo del mercado con 52.3 millones de libras en diciembre (+3.8%), mientras que Ecuador experimentó una disminución del 6.0% a 36.4 millones de libras. Cabe destacar que Vietnam y Tailandia registraron fuertes ganancias en diciembre del 18.9% y el 44.9% respectivamente, aunque sus volúmenes absolutos siguen siendo comparativamente modestos.

Los costos de reemplazo experimentaron aumentos uniformes en todos los orígenes en diciembre, con India registrando un aumento del 7.0% a $3.70/lb y Ecuador subiendo un 13.2% a $3.40/lb. Esta apreciación de costos sugiere un fortalecimiento de los fundamentos del mercado a pesar de las presiones de volumen, particularmente frente a las contracciones del YTD de los principales proveedores.

La combinación de productos en diciembre revela cambios importantes en las preferencias del mercado. El camarón pelado sigue liderando el volumen con 68.4 millones de libras, lo que muestra un crecimiento interanual del 4.0% e indica una demanda resiliente de productos de conveniencia. Las importaciones de camarón con cáscara experimentaron una contracción del 8.2% a 39.3 millones de libras, lo que sugiere que las procesadoras pueden estar gestionando estratégicamente las posiciones de materia prima. El sector de productos cocidos en agua tibia registró una notable ganancia del 15.2% a 21.7 millones de libras, lo que refleja una fuerte atracción de mercados “listos para comer”.

Las cifras YTD pintan un panorama más matizado de la dinámica de la categoría. Mientras que el camarón pelado mostró un crecimiento modesto del 1.4% a 833.0 millones de libras, el camarón con cáscara registró una disminución significativa del 11.8% a 454.0 millones de libras. El producto de camarón cocido se contrajo un 3.5% a 220.6 millones de libras en lo que va del año (YTD), aunque su sólido desempeño en diciembre sugiere una posible recuperación. Los costos de reemplazo aumentaron en todas las categorías principales (pelado subió 8.5% a $3.76/lb, con cáscara subió 7.6% a $3.68/lb, y el cocido subió 5.3% a $4.44/lb), lo que sugiere una apreciación de costos generalizado a pesar de las tendencias de volumen divergentes.

India domina el sector de camarón pelado con 36.0 millones de libras en diciembre (+0.9%), seguido de Ecuador con 16.7 millones de libras (+6.9%), que en conjunto representan más del 77% del volumen mensual de este producto. Los 8.4 millones de libras de Indonesia (+5.3%) y las modestas 3.0 millones de libras de Vietnam (-13.0%) completan los principales proveedores. La concentración de volumen entre los principales orígenes sugiere ventajas establecidas en la infraestructura de procesamiento.

Las cifras YTD de camarón pelado muestran estabilidad, con India alcanzando 472.3 millones de libras (+2.0%) y Ecuador con 176.6 millones de libras (+2.4%). Cabe destacar que Indonesia experimentó una contracción del 14.5% hasta 92.1 millones de libras, mientras

Importaciones YTD de todos los tipos de camarón por año de EE.UU. y promedio Importación $/lb.

Fuente: USDOC. Urner Barry que Vietnam registró un fuerte crecimiento del 20.5% hasta 46.8 millones de libras. Los costos de reemplazo aumentaron en todos los orígenes: India subió un 7.8% hasta $3.52/lb y Ecuador subió un 12.4% hasta $3.52/lb, lo que indica presiones uniformes sobre los costos.

Ecuador mantiene su liderazgo en el mercado de productos de camarón con cáscara, aunque los volúmenes de diciembre cayeron un 17.3% hasta 17.3 millones de libras. Indonesia mostró resiliencia con 9.1 millones de libras (+1.2%), mientras que India contribuyó con 5.3 millones de libras (+3.0%). El notable aumento del 80.1% de Vietnam hasta 1.4 millones de libras, aunque a partir de una base pequeña, sugiere una diversificación de origen emergente.

La data YTD de productos con cáscara revela contracciones significativas: Ecuador bajó un 16.9% hasta 217.2 millones de libras, India bajó un 13.5% hasta 68.4 millones de libras, mientras que Indonesia se mantuvo relativamente estable en 90.7 millones de libras (-0.2%). Los costos de reemplazo aumentaron entre proveedores, con Ecuador subiendo un 12.5% hasta $3.20/lb e Indonesia subiendo un 10.4% hasta $3.54/ lb, lo que indica un fortalecimiento de los precios a pesar de la presión del volumen. El sector de productos cocidos muestra cambios dinámicos, con India a la cabeza

con 10.1 millones de libras (+19.1%) en diciembre, seguida de Vietnam con 5.0 millones de libras (+26.4%). El volumen de Indonesia disminuyó un 22.5% a 4.5 millones de libras, mientras que Tailandia registró un drástico aumento del 237.9% a 2.0 millones de libras, aunque partiendo de una base modesta.

Las importaciones de productos cocidos hasta la fecha (YTD) reflejan ajustes más amplios del mercado: India se contrajo un 4.2% a 95.8 millones de libras, Indonesia bajó un 11.4% a 57.0 millones de libras y Vietnam se mantuvo relativamente estable en 51.2 millones de libras (-0.5%). Los costos de reemplazo mostraron solidez en todos los orígenes, particularmente en India (+4.4% a $4.20/lb) e Indonesia (+9.7% a $4.46/lb), lo que sugiere una demanda sostenida de productos listos para consumir a pesar de los desafíos de volumen.

Exportaciones de Ecuador e India

El panorama exportador de Ecuador hasta diciembre muestra un sólido crecimiento estructural, con Asia como el destino dominante con 1,573.1 millones de libras. El mercado estadounidense demandó 541.1 millones de libras, mientras que Europa obtuvo 474.9 millones de libras. Cabe destacar que la capacidad de Ecuador para abastecer los mercados asiáticos en medio

de fuertes precios estadounidenses sugiere una diversificación efectiva del mercado y el mantenimiento del poder de fijación de precios.

Las exportaciones de India hasta noviembre reflejan cambios regionales significativos. Los volúmenes con destino a EE.UU. alcanzaron los 609.4 millones de libras (+13.3% interanual), mientras que el corredor ChinaVietnam obtuvo 360.7 millones de libras (-4.4%). El mercado europeo y del Reino Unido se situó en 275.2 millones de libras (-27.7%). Japón con 142.1 millones de libras (-7.6%) y Medio Oriente con 200.4 millones de libras (+8.4%) completan los principales destinos. Esta reorientación de los flujos comerciales, en particular la gran fuerza de envíos a Estados Unidos a pesar de las presiones generales del mercado, indica un giro estratégico en respuesta a las señales de precios regionales.

Las tendencias divergentes entre estos grandes productores (el crecimiento de base amplio de Ecuador frente al enfoque de mercado selectivo de la India) sugieren una respuesta sofisticada a la dinámica de la demanda mundial y los diferenciales de precios. Ambos orígenes demuestran adaptabilidad en sus estrategias de exportación, aunque a través de enfoques claramente diferentes para la optimización del mercado.

REPORTE DE MERCADO

Índice de precios

El índice HSLO del camarón blanco y el índice de camarón con valor agregado demuestran cambios estructurales significativos en la dinámica del mercado mayorista de Estados Unidos. El índice HSLO indica que 2023 y 2024 fueron los puntos más bajos desde 2010, aunque surgió una ligera recuperación en 2025. Los niveles actuales de $3.76 sugieren que el mercado está encontrando su equilibrio después de una importante presión a la baja.

El índice de valor agregado, que se ubica en $4.84, mantuvo un diferencial más amplio con HSLO en comparación con las normas históricas, lo que sugiere un mayor poder de fijación de precios en las categorías procesadas. Esta ampliación de los diferenciales, particularmente notoria después de 2020, indica un mercado que cada vez diferencia más entre productos en bruto y el de valor agregado. La ligera tendencia a la recuperación hasta 2025 apunta a una mejora gradual de los fundamentos del mercado, aunque todavía por debajo de los picos observados en los últimos años•

Fuente: USDOC. Urner Barry
Detalle de importaciones de camarón YTD por tipo

Reelecto Directorio CNA para el

período 20252027

En la primera sesión del 2025, la Cámara Nacional de Acuacultura reeligió a sus autoridades: Marcelo Vélez como presidente del Directorio; Luis Francisco Burgos como primer vicepresidente, y Fabricio Vargas como segundo vicepresidente.

La CNA felicita a las autoridades reelectas y les desea éxitos en su gestión durante los próximos dos años.

CNA y la Armada del Ecuador redefinen estrategias para la seguridad

En el marco de la estrategia de seguridad impulsada por la Cámara Nacional de Acuacultura, se llevó a cabo una mesa de trabajo con la Armada del Ecuador para instalar un puesto de auxilio marítimo en un sector estratégico del golfo de Guayaquil, zona georreferenciada de alto riesgo para el sector acuícola. Además, se dio a conocer un dispositivo de rastreo satelital conectado a la red troncal de Coguar que permite la atención de emergencias en tiempo real, como parte del combate a la delincuencia.

Por otra parte, con el objetivo de definir acciones urgentes para frenar la inseguridad, José Antonio Camposano, Presidente Ejecutivo de la CNA, se reunió con Ivanova Cereceda, viceministra de Acuacultura y Pesca, para fortalecer la coordinación entre el sector público y privado en la lucha contra la delincuencia en zonas productivas. Durante

Mesa de trabajo sobre inspecciones preembarque

Con el objetivo de garantizar el cumplimiento de los requisitos sanitarios exigidos por la Unión Europea y Rusia para la exportación de camarón, María Andrea Dicindio, subgerente de Comercio Exterior de la Cámara Nacional de Acuacultura, organizó un encuentro con representantes de los establecimientos exportadores.

esta acción se revisaron medidas para optimizar el control terrestre y fluvial, en coordinación con la Policía Nacional y las Fuerzas Armadas.

Durante la reunión, la subsecretaria de Calidad e Inocuidad (SCI), Daniela Paredes, explicó el proceso de inspección preembarque, un requisito indispensable para el ingreso de los productos ecuatorianos a estos mercados. Además, se abrió un espacio de diálogo donde los exportadores plantearon consultas y sugerencias, fortaleciendo la cooperación entre el sector privado y las autoridades para optimizar los procesos de control y certificación.

Ecuador fortalece lazos comerciales con China

En un esfuerzo por fortalecer los lazos comerciales con China, José Antonio Camposano, Presidente Ejecutivo de la Cámara Nacional de Acuacultura (CNA) se reunió con Fang Hao, Consejero Económico y Comercial de la Embajada de China en Ecuador, con el objetivo de analizar el estado de las exportaciones de camarón a ese destino y nuevas oportunidades de crecimiento para la industria camaronera ecuatoriana en el gigante asiático, su principal mercado de exportación. Según cifras de la CNA, Ecuador exportó más de 1,2 millones de toneladas de camarón en el último año, generando ingresos superiores a los 6,500 millones de dólares. Durante la reunión, se abordaron temas clave como: logística, requisitos sanitarios y normativas comerciales recientes, fundamentales para mantener la competitividad del producto ecuatoriano en el exigente mercado chino.

EE. UU. y Ecuador refuerzan cooperación en inversión y comercio

Buscar oportunidades de inversión y estrategias para potenciar el comercio entre Estados Unidos y Ecuador fue el objetivo de la reunión entre Mike Benton, agregado comercial de la Embajada de Estados Unidos y José Antonio Camposano, Presidente Ejecutivo de la CNA. Durante el encuentro, se destacó la importancia del mercado estadounidense para la industria camaronera ecuatoriana, que en 2024 representó el 20 % de las exportaciones totales del sector. Además, se discutieron mecanismos para fortalecer la cooperación bilateral en materia de sostenibilidad, seguridad y certificaciones, aspectos importantes para garantizar el acceso y competitividad del camarón ecuatoriano en EE. UU.

CNA insiste en denunciar posible tala de manglar en el Golfo de Guayaquil

En respuesta a las denuncias presentadas por la Cámara Nacional de Acuacultura acerca de la tala de manglar en zonas del golfo de Guayaquil, representantes de la Subsecretaría de Acuacultura realizaron un sobrevuelo de reconocimiento.

Esta inspección se llevó a cabo gracias a la logística privada coordinada por la CNA, y tras el recorrido, la autoridad competente analizará la información recopilada para determinar la emisión de un informe y la posible aplicación de sanciones.

NOTICIAS EMPRESARIALES

Nicovita lanza sistema integral para fortalecer la fase inicial del cultivo de camarón

Con el objetivo de optimizar la fase inicial del cultivo de camarón, Nicovita presentó INICIO N, un sistema diseñado para mejorar la supervivencia y el crecimiento del crustáceo en sus primeras semanas. Esta iniciativa integra cuatro pilares clave: larvas de alta calidad, un portafolio avanzado de alimentación inicial, asesoría técnica especializada y tecnología de alimentación de precisión. Según la empresa, estos elementos permiten mejorar el rendimiento del cultivo y contribuir a una producción más eficiente y sostenible en el sector camaronero ecuatoriano.

Uno de los aspectos centrales del sistema es la incorporación de protocolos innovadores para la producción de larvas, desarrollados en alianza con Acuatecsa de Texcumar, junto con un portafolio de nutrición mejorado. Además, INICIO N incorpora asesoría técnica personalizada y herramientas digitales para optimizar la alimentación y reducir desperdicios. Con esta propuesta, la compañía busca responder a los desafíos actuales del mercado y reforzar las bases para una industria más sostenible y competitiva.

Turn static files into dynamic content formats.

Create a flipbook
Issuu converts static files into: digital portfolios, online yearbooks, online catalogs, digital photo albums and more. Sign up and create your flipbook.