

![]()



Biopelle is trusted and recognised for awardwinning, cutting-edge technologies and sciencebased formulations. A leader in advanced skincare solutions, Biopelle are committed to delivering the most innovative, effective products to licensed skincare providers and their patients.
Offering a full spectrum of clinically proven skincare products that address multiple concerns – from postprocedure care to daily maintenance and intensive treatments – we deliver dramatic improvement in the visible signs of ageing. Distributed in over 2000 clinics throughout North America, Australia and New Zealand, Biopelle is often referred to as the “best kept secret in dermatology” and continues to advance as a global leader in the aesthetic community.

Dermocosmètica are proud to be the official distributor of Biopelle and Emepelle in Australia and New Zealand.
Dermocosmètica was born out of the passion for innovative skincare and commitment to providing the highest quality and technologically advanced dermatology products to the aesthetic market.
With a background in pharmaceuticals, George Kypreos, Founder & Managing Director, travelled to Europe and America to find the most effective and scientific based products to provide the ANZ aesthetic market. 13 years on, Dermocosmètica has become an industry leader in providing a diverse range of global brands including, Biopelle, Emepelle, Prescribed Solutions DNA and LMX4 Topical Anaesthetic Cream.
We are proud suppliers of more than 2,200 clinics and over 150 hospitals across Australia and New Zealand.
Our suite of products and treatments offer optimal skin rejuvenation from the outer to the inner skin layers and are further supported by the novel ingredients and technologies in the Skin Health Pyramid.
Dermocosmètica is a family run company that values collaborative relationships based on trust and integrity. They are dedicated in supporting their partnering clinics and the industry with world class education, training and results.
The Skin Health Pyramid is an educational framework created from extensive scientific literature and studies reviewing ingredients, formulations, and other technologies that affect skin health, quality and ageing. It is a resourceful concept for clinicians, nurses and practitioners to educate cosmeceutical skincare products to their clients. It also serves as a useful tool to organise cosmeceutical products to prescribe skincare routines effectively. All three levels of the pyramid must be addressed for optimal skin rejuvenation from the outer to the inner skin layers.

DERMIS
OPTIMISE
EPIDERMIS TRANSFORM
Stimulate, replenish and rejuvenate

PROTECTIVE SHIELD FUNDAMENTAL
The Peptides, Growth Factors, Stem Cell Activators and MEP Technology

Renew, refine and normalise
Retinoids, AHAs and Moisturisers
UPGRADE SKINCARE
Protect, prevent and repair DAILY SKINCARE
SPF, DNA Repair Enzymes and Antioxidants
Peptides
Growth Factors
Stem Cell Activators
Retinoids
Ahas
Biopelle Tensage Intensive Serum 50 / Radiance Eye Cream / Stem Cell Cream / Stem Cell Eye Cream
Biopelle Brighten KNR Serum
Emepelle Eye Cream / Serum / Night Cream
Biopelle Tensage Intensive Serum 40 / Intensive Serum 50 / Daily Serum SCA 15 / Soothing Cream Moisturiser / Advanced Cream Moisturiser / Radiance Eye Cream / Gentle Gel Cleanser
Biopelle Tensage Stem Cell Cream / Stem Cell Eye Cream TRANSFORM
Biopelle Retriderm Retinol 0.5% / 0.75% / 1.0%
Biopelle Exfoliate Cream Cleanser / Gel Cleanser / Biopelle Brighten C + AHA Renewal / Moisturisers
Biopelle Tensage Soothing Cream Moisturiser / Advanced Cream Moisturiser / Stem Cell Cream
Emepelle Eye Cream / Night Cream
Prescribed Solutions DNA Cream No Sugar
Antioxidants
DNS Repair Enzymes
Biopelle Brighten CE Plus / Triple Action Eye / C + AHA
Renewal / KNR Serum
Emepelle Eye Cream / Serum / Night Cream
Prescribed Solutions DNA Urbane Renewal / Cream No Sugar

Emepelle is the first and only line of skincare products available to help improve the appearance of Oestrogen Deficient Skin by harnessing the restorative benefits of patented MEP Technology.



Tensage Growth Factor and Tensage Stem Cell can help you realise the full aesthetic potential of your skin. These product lines work together to help deliver visible results through evidence-based, patented technologies that can help combat both extrinsic and intrinsic signs of ageing caused by both external and internal factors. Biopelle Tensage® Growth Factor and Tensage® Stem Cell are the only physician-dispensed skincare lines that utilise the secretion and eggs from the Cryptomphalus aspersa snail. Yielding powerful reparative growth factor benefits and replenishing stem cell properties, these two clinically proven technologies help rejuvenate skin and reverse the visible signs of photo-damage.
Biopelle Retriderm encompasses three retinol products – at 0.5%, 0.75% and 1% strengths. The unique cosmeceutical-grade formula is the first and only retinol delivered in an oil-free, protein-rich, aqueous suspension, to help eliminate unwanted side effects such as redness and irritation. It canbe incorporated in various skin treatment programs.



Biopelle Brighten uses a multitude of brightening agents that help to disrupt the production of melanin to help brighten, even skin tone, and minimise the look of hyperpigmentation. The Brighten collection will help to protect the skin from free radical damage and reveal a more radiant, youthful, even skin tone. It features two daytime serums, one eye serum and one nighttime serum.

Biopelle Exfoliate features a unique and synergistic combination of glycolic acid and taurine that provides enhanced exfoliation while decreasing the irritation often associated with glycolics.





PRESCRIBEDsolutions ® DNA utilises a combination of DNA repair ingredients to address multiple stages of DNA damage for a comprehensive repair process. This unique mixture of enzymes and amino acids is designed to enhance and support the body’s natural DNA repair process for visible improvements in skin’s health and wellness.

BREAKTHROUGH INNOVATION
t o help restore the natural radiance menopausal deficient skin loses over time
• Oestrogen is critical for the health and appearance of skin.
• The skin is the largest non-reproductive organ that oestrogen affects. 1
• Oestrogen acts on the skin by binding to oestrogen receptors (ERs) in skin cells such as keratinocytes and fibroblasts. 1
• These ERs are especially prevalent in the face, even more so than in the breast or thigh.
THE IMPORTANCE OF OESTROGEN RECEPTOR ACTIVATION 1
REGULATES GENE TRANSCRIPTION
ACTIVATES SIGNALING WITHIN CELL
ACTIVATION OF OESTROGEN RECEPTORS
Helps facial skin maintain the optimal environment for a healthy, youthful-looking appearance.
Estrogen
SKIN CELL
Estrogen
SKIN CELL
Intracellular Estrogen Receptor
Intracellular Estrogen Receptor
Membrane-bound Estrogen Receptor
Membrane-bound Estrogen Receptor

OPTIMAL 1-3 :
• Moisture retention and barrier function
• Collagen and elastin content
• Epidermal thickness
• Skin cell proliferation
• Anti-inflammatory properties
• Wound healing

As women age, oestrogen levels decline, resulting in Oestrogen Deficient Skin.
• Characterised by accelerated skin ageing
• Becomes apparent leading up to menopause 1
• Peaks during menopause (ages 45 – 55) 1,4
Oestrogen Deficient Skin leads to a decrease in the number of oestrogen receptors, resulting in significant collagen loss and visible signs of aging. 1,5
RELATIVE COLLAGEN LOSS AFTER THE ONSET OF MENOPAUSE 5
OF DERMAL COLLAGEN WITHIN THE FIRST 5 YEARS OF MENOPAUSE
–2% LOSS OF DERMAL COLLAGEN IN EACH SUBSEQUENT YEAR
5
Studies suggest that collagen loss in the skin is more closely related to postmenopausal age than chronologic age .1,6
10
• Dryness
• Atrophy
• Thinning
• Wrinkling
OESTROGEN RECEPTORS CAN BE REACTIVATED



Benefits include increased: 1,2,5
• Collagen content
• Size and concentration of elastic fibers
• Moisture retention & skin barrier function
• Thickness of skin layers
Options to reactivate oestrogen receptors provide cutaneous benefits but carry the potential for systemic side effects. 3

Methyl Estradiolpropanoate (MEP) is the only Non-hormonal Oestrogen Receptor Aide (NERA) clinically proven to safely and effectively help address the root cause of accelerated skin aging due to Oestrogen Deficient Skin. 7
• Aids in keratin and collagen production
• Acts only on skin cells 7

Estrogen readily travels through the bloodstream
E STROGE N > SYSTEMIC EFFECTS
Cutaneous and systemic effects
Oestrogen receptor
MEP is quickly degraded in the bloodstream to a single inactive metabolite

M E P > NO SYSTEMIC EFFECTS
Cutaneous effects only
MEP Oestrogen
Inactive MEP metabolite
(Enzymes in the bloodstream)
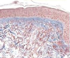
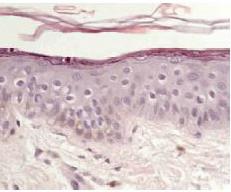
• Helps increase fibroblast expressed oestrogen receptors
Fibroblast oestrogen receptor positivity: oestrogen receptor expression before and after MEP treatment
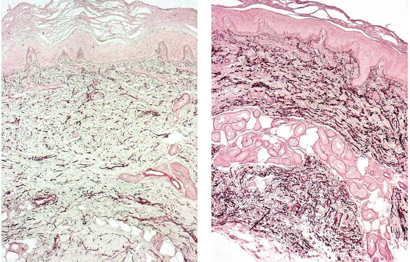
• Helps increase dermal collagen content
Biopsies demonstrated a slight increase in dermal collagen compared to baseline
• Helps improve the appearance of oestrogen deficient skin

BASELINE: no oestrogen receptor (+) fibroblasts*

14 WEEKS MEP: 11 oestrogen receptor (+) fibroblasts*
“
There was an increase in the amount of oestrogen receptors... it demonstrates MEP’s unique mechanism of action; it mimics oestrogen and in essence reawakens, or reactivates, the receptors that had disappeared."
Diane Berson, MD.
Blinded investigator-assessed % improvement after 14 weeks’ application MEP vs vehicle
“
Absent any other known mode of action of MEP, it is presumably the oestrogen receptor binding activity of MEP that accounted for these findings."
Zoe Diana Draelos, MD, Lead Investigator. A double-blind randomised pilot study evaluating the safety and efficacy of topical mep in the facial appearance improvement of oestrogen deficient females.7
* Images courtesy of: Garron J Solomon, MD, CEO, Laboratory Director, Director of Dermatopathology Tripoint Diagnostics, PLLC, Morristown, NJ
HELPS RESTORE THE NATURAL FUNCTION OF OESTROGEN DEFICIENT
The first and only skincare solution featuring innovative MEP Technology to help address the root cause of Oestrogen Deficient Skin non-hormonally.
SPECIFICALLY FORMULATED TO ADDRESS:
DRYNESS
DULLNESS
LAXITY
FINE LINES AND WRINKLES
“RESULTS:
HYDRATION
LUMINOSITY
FIRMNESS
SMOOTHER, MORE YOUTHFUL-LOOKING SKIN
This is a maintenance type of formulation that we are going to be advocating our patients use on a regular basis, like a sunscreen or a retinoid."
Joel Cohen, MD, Lead Investigator

FEMALE, AGE 60


BASELINE WEEK 8


BASELINE WEEK 8
Unretouched photographs of patients at baseline and after morning use of Emepelle Serum and evening use of Emepelle Night Cream. Individual results may vary. Photos courtesy of Joel L. Cohen, MD.
“
Results showed the regimen improved wrinkles, texture, color, and hydration. Younger patients in the study spectrum seemed to show significant improvement by about 8 weeks. Older patients who have been in menopause longer showed notable improvement by 20 weeks."
Joel Cohen, MD, Lead Investigator
HIGHLY RATED BY STUDY PARTICIPANTS & THE LEAD INVESTIGATOR AT THE END OF THE 20 WEEK STUDY 4
100%
On a 0-5 Facial Hydration Scale, 100% of study participants showed at least one-step improvement and 93% saw two steps or more.
93%
93% of study participants responded that Emepelle helped improve the appearance of wrinkles, texture, and color.
86%
Patients showed a 53% improvement in texture on the AlexiadesArmenakas Grading Scale.
Clinically proven to help restore the natural function of oestrogen Deficient Skin for improved firmness, hydration and luminosity.



Silky. Lightweight. Reinvigorating.
PRODUCT BENEFITS
• Helps reinvigorate skin’s natural source of radiance for more healthy, youthful-looking skin
• Powerful antioxidant activity for daytime protection
• Fast absorbing, oil-free formulation layers with other products and under makeup
Luxurious. Nourishing. Restorative.
PRODUCT BENEFITS
• Harnesses skin’s nighttime repair activities to help restore vitality and luminosity to aging skin
• Contains a unique combination of retinoids*
• Rich formulation to maximise hydration and nourishment
Rich. Firming. Rejuvenating.
PRODUCT BENEFITS
• Helps reduce the appearance of fine lines and wrinkles, under eye puffiness and dark circles
• Creamy, lightweight, non-irritating and fast-absorbing
• Suitable for layering with other products and under makeup
• In addition to MEP Technology, features powerful antioxidants, peptides, caffeine, hyaluronic acid and mango seed butter for improved luminosity and anti-ageing benefits to the eye area
SERUM NIGHT CREAM EYE CREAM
INGREDIENT
(1%) (2%) (0.5%) MEP
NIACINAMIDE
(4%) (8%) (?%)
0.1% RETINOL* & 0.05% HPR (hydroxypinacolone retinoate)
VITAMIN C (ethyl ascorbic acid)
VITAMIN E (tocopheryl acetate)
FERULIC ACID
PENTAPEPTIDE-28
DIPEPTIDE-4
TETRAPEPTIDE-26
ACETYL HEXAPEPTIDE-8
MATRIXYL 3000® (palmitoyl oligopeptide & palmitoyl tetrapeptide-7)
BOTANICAL EXTRACTS from Persian Silk Tree, Horse Chestnut, Verbascum Thapsus
HYALURONIC ACID
SHEA BUTTER, GRAPE SEED OIL, APRICOT KERNEL OIL
*Retinol may cause mild irritation for some skin types.
DESCRIPTION
NERA: Non-hormonal oestrogen receptor aide helps activate and proliferate oestrogen receptors in the skin.
PROLIFERATOR: Helps improve epidermal barrier function, regenerate and proliferate skin cells; also helps reduce melanosome transfer to keratinocytes.
COLLAGEN SYNTHESISERS: Help induce collagen synthesis and reduce signs of UVinduced skin aging.
MULTI-FACETED ANTIOXIDANT: Stable form of Vitamin C utilised by cells as an antioxidant, assists the fibroblast in making collagen and prevents melanin formation.
PROTECTOR: Oil-soluble antioxidant that helps protect against lipid peroxidation.
NEUTRALISER, PREVENTER & BOOSTER: Helps neutralise free radicals, prevent cell damage from uv radiation and boost vitamin c activity.
MTDNA REPAIR: Anti-ageing peptide that adaptively energises skin and helps protect mitochondrial DNA.
ANTIOXIDANT ACTIVITY: Glutathionebiomimetic antioxidant peptide that helps protect against glycation damage, protects skin from environmental stresses and prevents loss of skin resiliency.
CIRCADIAN RHYTHM AID: Anti-aging peptide designed to boost the expression of clock genes and help assist with the circadian rhythm of dna protection and repair.
POTENT ANTI-WRINKLE HERO: Utilises a unique mechanism of action by attenuating muscle contraction to reduce the depth of wrinkles.
CELL PROLIFERATOR: Messenger peptides that assist with cell proliferation and the production of extracellular matrix components.
CONTOURER, FUNCTIONALITY & COMMUNICATION RESTORER & LUMINISER: Strengthens and protects dermal structure, consolidates microvascular network, helps DEJ and dermal integrity and functionality. Uses plant photoluminescense to transform visible light and reveal radiance.
HUMECTANT: Attracts and retains moisture for optimal hydration and to help prevent moisture loss.
EMOLLIENTS & HUMECTANTS: Help hydrate, moisturise and replenish the skin barrier.
BENEFIT
Helps restore the natural function of oestrogen Deficient Skin without systemic side effects.
Helps restore the natural function of oestrogen Deficient Skin without systemic side effects.
Helps even skin tone and texture, brighten and smooth appearance of fine lines, wrinkles and provide additional antioxidant protection.
Help reduce appearance of wrinkles and pigmentation, decrease roughness, aid in nightly rejuvenation for radiant skin.
A blend of antioxidants for powerful free radical defense.
A blend of peptides that help combat oxidative stress; also help improve the appearance of fine lines, wrinkles and skin laxity
Botanical extracts that help lift, fade dark circles, lessen puffiness, smooth wrinkles, and reveal radiant skin
Helps hydrate skin and maintain skin’s moisture barrier.
Leave skin feeling hydrated, soft and supple.
• Secretion from the Cryptomphalus aspersa snail contains natural defense mechanisms to protect and heal its skin in less than 48 hours.
• A biologically active glycoprotein secretion that is chemically different from secretions produced for movement.

• First shown to be clinically effective on humans for treatment of radiation dermatitis following the Chernobyl disaster in 1986.
• Later used to treat cancer patients undergoing radiation therapy.



• Contains many of the same glycoproteins, sugars and amino acids found in human skin.
• Refined to pharmacological standards as a pure, contaminationfree, biologically active fluid.
• Developed to harness reparative properties for photo-aged skin and aesthetic procedures.

• No snails are harmed in the process of collecting the secretion.
INGREDIENT
PROTEINS with low molecular weight (1.8 mg/ml) FGF
ENZYMES (Collagenase)
ENZYMES – ANTIOXIDANTS (SOD, GTSH)
PROTEOGLYCANS & GLYCOSAMINOGLYCANS (0.6 mg/ml Hyaluronic Acid)
ACTIVITY
FIBROBLAST PROLIFERATION improvement of fibrobalst morphology, extra-cellular matrix assembly
STIMULATION degradation of denatured collagen and stimulation of new synthesis
ANTIOXIDANTS powerful free radical defense
MOISTURISATION helps hydrate skin and maintain long-lasting moisture


SCA optimises assembly and organisation of ECM resulting in:
• Firmer, more elastic skin.
• Faster skin regeneration.
• Faster recovery after procedures.
Adhesion molecules and fibronectin

Mature/photoaged and young fibroblasts treated with SCA:
• Achieve similar replication capacity as young fibroblasts.
• Exponential proliferation with increased concentration.
• Fibronectin plays a critical role in cell adhesion, migration, growth and differentiation.


• SCA increases expression of fibronectin to help achieve a more organised skin matrix.
SCA reduces the expression of MMPs, preventing degradation of collagen.
Percent Reduction of MMP Expression:
• MMP–1 = –17%
• MMP–2 = –24%
SCA inhibits free radical production, and demonstrates the most powerful antioxidant activity compared to many of the best-known natural antioxidants.
"Clinical and Histological Efficacy of a Secretion of the Mollusk Cryptomphalus aspersa in the Treatment of Cutaneous Photoaging."
by Tribo-Boixareu MJ et al.

Confocal microscope silicone replicas at baseline and after once daily application of Tensage Intensive Serum 40 on patients with moderate to severe photoaging for 3 months.
SCA reduces wrinkle depth up to 30%


SCA reduces eslastosis of papilar dermis


SCA improves micro-roughness up to 30%


SCA improves skin architecture


BIOREPAIR TECHNOLOGY IS CLINICALLY PROVEN 2 TO HELP:
• Reduce the appearance of fine lines and wrinkles
• Enhance skin tone
• Reveal a luminous glow and more healthy, youthful-looking skin
• No snails are harmed in the process of collecting the secretion.
"The Effects of Filtrate of the Secretion of the Cryptomphalus aspersa on Photoaged Skin."
by Goldman, Butterwick, Fitzpatrick, Groff, & Fabi, Cosmetic Laser Dermatology, San Diego, CA



WEEK 8
Unretouched photographs of patients at baseline and after twice-daily regimen of Tensage® Intensive Serum 40 for 12 weeks. Photos courtesy of Dr. Joel L. Cohen and Dr. Michael Goldman.
CLINICALLY PROVEN STUDIES IN A 90 DAY STUDY 2 , PATIENTS SAW:
78% reduction in sallow appearance of skin
46% reduction in deep wrinkles
40% reduction in irregular pigmentation





Unretouched photographs of patients at baseline and after twice-daily regimen of Tensage® Intensive Serum 40 for 12 weeks. Photos courtesy of Dr. Joel L. Cohen and Dr. Michael Goldman.


60
BASELINE BASELINE DAY 45
Unretouched photographs of patient at baseline and after daily use of Tensage® Intensive Serum 50 for 60 days. Photos courtesy of Anna Trink, MD and Fabio Rinaldi, MD.


WEEK 8
Unretouched photographs of patients at baseline and after twice-daily regimen of Tensage® Intensive Serum 40 for 12 weeks. Photos courtesy of Dr. Joel L. Cohen and Dr. Michael Goldman.


BASELINE

WEEK 8
Unretouched photographs of patients at baseline and after twice-daily regimen of Tensage® Intensive Serum 40 for 12 weeks. Photos courtesy of Dr. Joel L. Cohen and Dr. Michael Goldman.


TENSAGE DAILY SERUM SCA 15
Highest level of SCA for daily use to address the visible signs of ageing.
DESCRIPTION
Ideal compliment to Tensage 40 for maintaining postprocedural results.

TENSAGE INTENSIVE SERUM 40 SCA 40 (for at-home Boosted treatment
At-home boosted treatment to give the skin an instant luminous glow.

TENSAGE INTENSIVE SERUM 40 SCA 40 (for post-procedure treatment)
Post-procedure care to help reduce the appearance of redness, improve healing times and optimise results.

TENSAGE INTENSIVE SERUM 50 SCA 50
Highest level of SCA available for treatment of advanced photoageing.
Visible results in as few as 10 days.
AM/PM USE AM or PM AM or PM AM or PM PM
FREQUENCY Daily Intensive Boost (Monthly) As Directed by Skincare Provider Intensive Boost (Quarterly)
SUITABLE
POST-PROCEDURE (after skin has re-epithelialized)

Concentrated growth factor benefits for boosted treatments of lackluster skin or to help optimise procedural results. Visible improvement in as little as 24 hours. Oil-free.

INGREDIENT
SCA Biorepair Technology
VITAMIN C (sodium ascorbyl phosphate)
vitamin E (tocopheryl acetate)
PENTAVITIN®
• Visible improvement in the appearance of lines and wrinkles
• Enhanced texture, tone and luminosity
• Reduction in the visible signs of photo-damage
• Helps to shorten healing time and optimise procedural results
SKIN TYPE: All skin types; photo-damaged skin.
PRODUCT USAGE: For intensive, boosted treatment, use one ampoule daily for 7 days, then once weekly for 3 weeks. For post-procedure, as directed by a skincare professional. SCA
DESCRIPTION
GROWTH FACTOR
Secretion of C. aspersa snail, glycoprotein rich with a fibroblast growth factor and antioxidants
ANTIOXIDANT
Assists the fibroblast in making collagen and prevents melanin formation
PROTECTOR
Oil-soluble antioxidant that helps protect against lipid peroxidation
HUMECTANT
Plant-derived water binding agent and emollient for long lasting hydration
BENEFIT
Renewal and rejuvenation of skin appearance
Powerful free radical defense
Powerful free radical defense
Moisturiser effective in low humidity atmospheres and lasts up to 72 hours
Award-winning Best Post-Procedure Serum
TENSAGE Intensive Serum 40 is for use with or complement to:
• Microneedling
• Fractional Lasers
• Radio Frequency Skin Tightening
• Dermal Infusion Face Treatment
• Microdermabrasion
• Chemical peels
• Intense Pulsed Light Photofacial
• Er:YAG Laser Treatment *
• CO2 Laser Resurfacing*
*Use after skin has re-epithelialized.


IMMEDIATELY AFTER 24 HOURS LATER
• Significantly reduce the appearance of redness
• Improve skin texture, tone and elasticity
• Optimise procedural outcomes
• Shorten length of time between procedures
• Increase patient satisfaction with procedural results

An intensive boosted treatment serum with highly concentrated growth factor benefits for fast, dramatic improvement in the visible signs of moderate to severe ageing.

INGREDIENT
SCA BIOREPAIR TECHNOLOGY
ARGIRELINE ® (ACETYL HEXAPEPTIDE-8)
ALBATIN®
ALISTIN ® (DECARBOXY CARNOSINE HCL)
NATRLQUEST®
• Highest level of SCA Biorepair Technology to help improve skin’s appearance in as little as one week
• Helps repair skin damage caused by UV light, environmental toxins and smoke
SKIN TYPE: All skin types; for moderate to advanced photodamage.
PRODUCT USAGE: For intensive, boosted treatment: Each tube contains 2–3 applications depending on area treated. Use nightly until box completion. For pre-procedure: Use as directed by skincare provider.
DESCRIPTION
GROWTH FACTOR
Secretion of C. aspersa snail, glycoprotein rich with a fibroblast growth factor and antioxidants
ANTI-WRINKLE
Inhibits muscle contraction, increases dermis/ epidermis adhesion and dermis density
TYROSINASE INHIBITOR
Opposes the oxidisation polymerisation of DOPAchrome which leads to the formation of Eumelanin
POWERFUL ANTIOXIDANT
Natural peptoid, potent antiglycant and antioxidant
ANTI-TYROSINASE ACTIVITY
Copper and iron chelating, anti-tyrosinase activity
BENEFIT
Renewal and rejuvenation of skin appearance
Reduce appearance of wrinkles
Helps prevent the appearance ofhyperpigmentation
Helps effectively brighten skin tone
Helps prevent the appearance ofhyperpigmentation
The highest level of growth factor benefits for daily use, this concentrated serum helps to repair, protect and maintain the appearance of youthful looking skin. Oil-free and ideal for maintenance after procedures.
PRODUCT BENEFITS
• Improves the visible signs of ageing
• Evens skin tone
• Protects from free-radical damage
• Maintains results from aesthetic procedures
SKIN TYPE: All skin types.
PRODUCT USAGE: For daily use. Apply once or twice daily.

INGREDIENT
SCA BIOREPAIR TECHNOLOGY
VITAMIN C (3-O ETHYL ASCORBIC ACID)
NIACINAMIDE
SODIUM HYALURONATE
DESCRIPTION
GROWTH FACTOR
Secretion of C. aspersa snail, glycoprotein rich with a fibroblast growth factor and antioxidants
ANTIOXIDANT
Utilised by cells as an antioxidant, assists the fibroblast in making collagen and prevents melanin formation
BRIGHTENING AGENT
Barrier repair, anti-oxidant, down-regulator of melanosome transfer
HUMECTANT
Surface and deep hydration with two molecular weights in formula
BENEFIT
Renewal and rejuvenation of skin appearance
Powerful free radical defense
Helps improve skin texture and elasticity, and helps reduce the appearance of discoloration
Helps hydrate skin and maintain skin’s moisture
Lightly tinted daytime eye cream with growth factor benefits to help even skin tone while firming, tightening and illuminating the delicate eye area.

INGREDIENT
SCA BIOREPAIR TECHNOLOGY
EYESERYL® TETRAPEPTIDE (ACETYL TETRAPEPTIDE 5)
TENSDERM® COMPLEX
SOFT FOCUS MICROSPHERES
PRODUCT BENEFITS
• Firms and tightens
• Illuminates tired eyes
• Helps protect from free-radical damage
SKIN TYPE: All skin types.
PRODUCT USAGE: Gently apply a pea-sized amount to the eye area once or twice daily.
DESCRIPTION
GROWTH FACTOR
Secretion of C. aspersa snail, glycoprotein rich with a fibroblast growth factor and antioxidants
ANTI-WRINKLE & ANTI-PUFFINESS
Reduces vascular permeability, increases microcirculation and inhibits collagen glycation.
SKIN FIRMING
A mix of firming peptides to help firm the skin
ILLUMINATING
Pigments refract light to illuminate the eye area, help blur imperfections
IRON OXIDES TINT
Opaque pigments that help blur imperfections
BENEFIT
Renewal and rejuvenation of skin appearance
Reduces appearance of wrinkles and under eye puffiness
Helps skin appear firm and smooth
Helps illuminate and brighten under eye area
Helps camouflage and blur imperfections
Soothing and gentle daily cleanser with a rich, silky lather to remove excess oils and impurities. All skin types including sensitive and acne-prone. Gentle enough to be used post-procedure. Oil free.
• Gently cleanses and refreshes skin
• Calms and soothes compromised or reactive skin
• Helps with moisture balance
SKIN TYPE: All skin types, particularly sensitive.
PRODUCT USAGE: For daily use. Gentle enough for use post-procedure.

INGREDIENT
SCA BIOREPAIR TECHNOLOGY
PANTHENOL
GLYCERIN
COCO-GLUCOSIDE
DESCRIPTION
GROWTH FACTOR
Secretion of C. aspersa snail, glycoprotein rich with a fibroblast growth factor and antioxidants
SOOTHING
Humectant with soothing, conditioning properties
SMOOTHING
Skin softening emollient, adds hydration
GENTLE SURFACTANT
Low foaming cleansing agent derived from coconut oil and fruit sugar
BENEFIT
Renewal and rejuvenation of skin appearance
Skin soothing moisture
Attracts moisture to skin and helps smooth the appearance of fine lines
Gentle cleansing for sensitive skin
A lightweight, oil-free daily moisturiser with growth factor benefits that helps to improve early to moderate signs of ageing. Provides soothing relief and hydration. Non-comedogenic.

INGREDIENT
SCA BIOREPAIR TECHNOLOGY
Vitamin E (green tea, mushroom, and licorice extracts)
HYGROPLEX™ HHP
Hydrates the skin
Soothes and calms compromised or reactive skin
Helps protect from free-radical damage
SKIN TYPE: Suitable for sensitive and acne-prone skin. Ideal for normal to oily skin.
PRODUCT USAGE: For daily use. Apply once or twice daily.
PENTAVITIN®
SODIUM HYALURONATE
DESCRIPTION
GROWTH FACTOR
Secretion of C. aspersa snail, glycoprotein rich with a fibroblast growth factor and antioxidants
ANTIOXIDANT
Plant-based extract that combats the effects of free radicals, reduces inflammation and supports skin barrier function
MOISTURISING COMPLEX
Similar to the NMF of skin providing hydration
HUMECTANT
Plant-derived water binding agent and emollient for long lasting hydration
HUMECTANT
Surface and deep hydration with two molecular weights in formula
BENEFIT
Renewal &and rejuvenation of skin appearance
Provides antioxidant protection and helps even out skin tone
Helps hydrate skin and maintain long-lasting moisture
Moisturiser effective in low humidity atmospheres and lasts up to 72 hours
Helps hydrate skin and maintain skin’s moisture
A highly emollient, richly textured cream with growth factor benefits to help address signs of ageing and skin damage.
PRODUCT BENEFITS
• Hydrates the skin
• More luminous, youthful looking skin
• Helps protect from free-radical damage
SKIN TYPE: Normal to dry skin types. Ideal for mature skin.
PRODUCT USAGE: For daily use. Apply once or twice daily.
INGREDIENT
SCA BIOREPAIR TECHNOLOGY
TENSDERM ® COMPLEX
TOCOPHERYL ACETATE
HYGROPLEX™ HHP
PENTAVITIN®
SODIUM HYALURONATE
DESCRIPTION
GROWTH FACTOR
Secretion of C. aspersa snail, glycoprotein rich with a fibroblast growth factor and antioxidants
SKIN FIRMING
A mix of firming peptides to help firm the skin
ANTIOXIDANT
Oil soluble antioxidant that protects against lipid peroxidation
MOISTURISING COMPLEX
Similar to the NMF of skin providing hydration
HUMECTANT
Plant-derived water binding agent and emollient for long lasting hydration
HUMECTANT
Surface and deep hydration with two molecular weights in formula

BENEFIT
Renewal and rejuvenation of skin appearance
Helps skin appear firm and smooth
Powerful free radical defense
Helps hydrate skin and maintain long-lasting moisture
Moisturiser effective in low humidity atmospheres and lasts up to 72 hours
Helps hydrate skin and maintain skin’s moisture
• Dormant until signaled
• Replicate themselves
• Migrate to areas of need to differentiate and replace aging cells
Stem cells are single cells that can... replicate themselves differentiate into many cell types

• Telomeres are repetitive nucleotide elements at the ends of chromosomes and protect chromosomes from degradation and genetic information loss necessary for cell replication
• Telomeres shorten due to oxidative stress and with each cell division the shortening reduces ability to replicate
• Stem cells when signaled produce new, healthy cells with their full telomere length
• Skin cells lose capacity to self renew
• Stem Cell signaling function declines with age
• Natural intrinsic ageing process
• Avoiding damaging environmental factors does not fully eliminate the aging process
30s 20s 40s 50+
ENVIRONMENTAL DAMAGE IS HIGH FIRST SIGNS OF AGEING APPEAR

Constant exposure to the sun and free radical damage leads to skins premature ageing.
Skin regeneration is slowing leading to dullness and uneven skin tone.
Skin thinning can lead to sensitivity, redness and dryness. Age spots become more prominent.
Skin’s structure and ability to defend itself is impaired and less efficient in retaining moisture.
• Eggs of C. Aspersa contain a stem cell signaling protein
• Activates skin stem cells to differentiate and migrate
• Patented extraction and purification process


Stem Cells activated by Cell Pro Technology have the ability to differentiate and migrate into new fibroblasts and keratinocytes, producing additional Extra Cellular Matrix components.
Differentiation and migration

CellPro Technology assists the natural activity of stem cells
Self-renewal


CONVERSION OF MSC’S TO NEW SKIN CELLS 1


Daily use of Tensage Stem Cell products with CellPro Technology is clinically proven to help:
• Replenish skin cells
• Reinforce skin’s integrity
• Restore healthy, youthful-looking skin
SPECIFICALLY FORMULATED TO ADDRESS:
CREPE SKIN DULLNESS FINE LINES AND WRINKLES
CELLPRO TECHNOLOGY
RESULTS:
IMPROVED FIRMNESS
LUMINOSITY
SMOOTHER, YOUNGERLOOKING SKIN
CLINICALLY PROVEN STUDIES
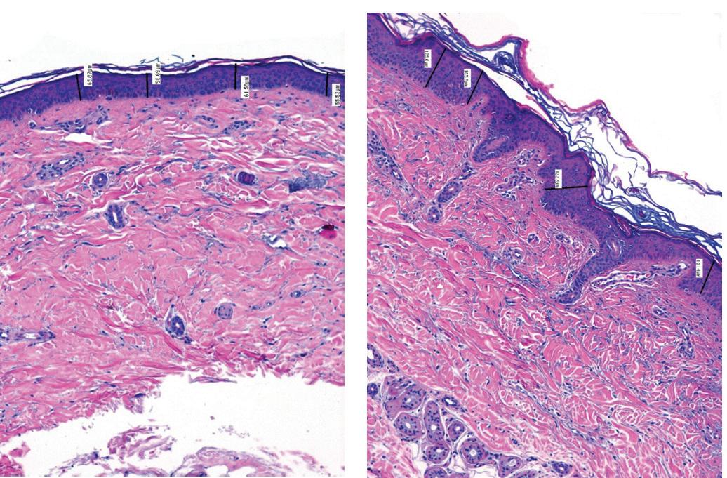
INCREASE IN COLLAGEN, ELASTIN AND EPIDERMAL THICKNESS AFTER 90 DAYS, TWICE DAILY APPLICATION 3,4,5
119% increase in collagen

50% increase in elastin
26% increase in epidermal thickness
119% INCREASE IN DERMAL COLLAGEN (COLLAGEN III)

Pre-treatment
Post-treatment
Collagen stained brown
50% INCREASE OF ELASTIC FIBERS

Pre-treatment
26% INCREASE IN EPIDERMAL THICKNESS

Pre-treatment
Post-treatment
Post-treatment
Elastin stained pink
Double-Blind, Placebo-Controlled Study with CellPro Technology 3
Application: 90 days, AM & PM

BASELINE

WEEK 12
Unretouched photographs of patients at baseline and after twice daily application of Tensage® Stem Cell Cream and Eye Cream, along with a gentle cleanser and sunscreen. Photos courtesy of Zoe Diana Draelos, MD, FAAD.

BASELINE

WEEK 8
Unretouched photographs of patients at baseline and after twice daily application of Tensage® Stem Cell Cream and Eye Cream, along with a gentle cleanser and sunscreen. Photos courtesy of Zoe Diana Draelos, MD, FAAD.
A rich, nourishing night cream that combats multiple signs of aging and helps reinforce skin’s integrity and restore the appearance of radiance, firmness and smoothness to the skin.

INGREDIENT
CELLPRO TECHNOLOGY
• Reduces the appearance of fine lines and wrinkles
• Skin appears firmer and plumper
• Smoothes rough skin texture
• Evens skin tone
SKIN TYPE: All skin types. Mature skin.
PRODUCT USAGE: For daily use. Ideal for PM application.
RETINSPHERE®
TRIPEPTIDE-9 CITRULLINE
CERAMIDE NP (CERAMIDE 3)
DESCRIPTION
STEM CELL ACTIVATOR
Assists the skin’s natural renewal process, reduces the appearance of wrinkles, firms skin
CELLULAR RENEWAL
Association of two stable, effective retinoids with excellent tolerability: hydroxypinacolone retinoate and stabilised and encapsulated retinol.
ANTIOXIDANT DEFENSE
Binds Cu, DNA protection from free radical damage by different reactive species formed between metal ions & biological molecules
HYDRATION
Supports renewal of skin’s natural protective layer and forms an effective barrier against moisture loss
BENEFIT
Renewal and rejuvenation of skin appearance
Helps even skin tone and texture, brighten and smooth
Helps regulate the formation of collagen fibers
Helps to hydrate and prevent moisture loss
Ideal for the fragile eye area, this rich, nourishing eye cream helps combat multiple signs of aging around the eyes, improving the appearance of crow’s feet, dark circles and under eye puffiness.
PRODUCT BENEFITS
• Helps reduce the appearance of fine lines and wrinkles around the eye area
• Reduces the appearance of under eye puffiness
• Diminishes the appearance of dark circles
• Skin appears firmer and plumper
SKIN TYPE: All skin types. Mature skin.
PRODUCT USAGE: For daily use. Ideal for PM application.

INGREDIENT
CELLPRO TECHNOLOGY
RETINSPHERE ®
CAFFEINE
HYALOXYL™
DESCRIPTION
STEM CELL ACTIVATOR
Assists the skin’s natural renewal process, reduces the appearance of wrinkles, firms skin
CELLULAR RENEWAL
Complex of retinol in a glycosphere to enhance penetration and the renewal process
INCREASED CIRCULATION
Contains anti-inflammatory and antioxidant properties, improves circulation
MATRIKINES
Reinforce firmness and tone of eye area, while activating the elimination of blood originated pigments that cause dark circles and local inflammation
BENEFIT
Renewal and rejuvenation of skin appearance
Helps even skin tone and texture, brighten and smooth
Helps to reduce puffiness and dark circles
Helps to reduce puffiness and dark circles
The science of Retriderm® harnesses the power of vitamin A. Vitamin A is known to be essential to healthy skin, it promotes the production and differentiation of skin cells and has been clinically proven to regenerate ageing and sun damaged skin.
Retriderm Vitamin A Serums contain retinol, a bioavailable form of vitamin A that is naturally consumed in our diet and available within our body, in a unique patent pending protein-rich serum that optimises its stability and bio-availability in our skin.
To help the retinol do its job, the Retriderm protein-rich serum formulation also contains, collagen and elastin, two essential skin proteins, hyaluronic acid another essential skin constituent and vitamin E to add antioxidant protection. But fundamentally Retriderm is all about getting the skin-essential retinol to ‘go to work’, regenerating your skin from the surface and within.
Retriderm’s proprietary formulation is a protein-rich, oil-free, aqueous suspension which makes this the ideal skin rejuvenation serum. Retriderm leaves your skin looking youthful, glowing, and rejuvenated.
Retriderm is the first and only retinol delivered in an oil-free, protein rich, aqueous suspension. Absorption is aided by high levels of proteins in the suspension: soluble collagen, hydrolyzed elastin and sodium hyaluronate.
STABLE COLLOID
UNSTABLE COLLOID
Retinol
Soluble Collagen
Hydrolyzed Elastin
Hyaluronic Acid
Aggregation & Sedimentation

The overall study suggests that the stronger the product and the longer the use time the more effective it is, but significant improvement can be seen with the mildest strength in as little as eight weeks and without any irritation."
By Leon Kircik, MD, Vivian Buday, MD and Monica Kiripolsky, MD


• Deliver softer, smoother skin
• Restore skin radiance
• Reduce the appearance of fine lines and wrinkles
• Provide the appearance of thicker, firmer, plumper looking skin
Retinol (vitamin A) delivered in a protein-rich, oil-free, aqueous suspension allowing for maximum absorption, minimal irritation and visible results.

MILD 0.5%
Formulated with 0.5% retinol, this serum is ideal for sensitive skin or first-time retinol users. This formulation helps reduce the appearance of fine lines and wrinkles, and deliver firmer, smoother looking skin.
PLUS 0.75%
Formulated with 0.75% retinol, this serum is ideal for those with more serious ageing skin concerns or those looking to step up from Retriderm Mild. This formulation helps to further restore skin’s radiance and provides the appearance of firmer and plumper looking skin.

MAX 1.0%
Formulated with the highest strength of retinol, 1%, this serum is ideal for extremely sun damaged skin, those who exhibit a high tolerance to retinoids, or for those looking to step up from Retriderm Plus or Mild. This formulation provides maximum rejuvenation and helps restore radiance, luminosity and firmer looking skin.

INGREDIENT
RETINOL
HYDROLYZED ELASTIN
SOLUBLE COLLAGEN
SODIUM HYALURONATE
DESCRIPTION
CELLULAR RENEWAL
Vitamin A assists cellular turnover, tyrosinase inhibition, reduce UV induced erythema, boosts/assists collagen production.
ENHANCED BIOAVAILABILITY
Protein rich, oil free micro-droplet suspension allowing for increased absorption and bioavailability
BENEFIT
Helps even skin tone and texture, brighten and smooth
Increased conversion and absorption of retinol for more radiant skin, with decreased irritation





Biopelle Brighten focuses on skin brightening, anti-aging and antioxidant protection by featuring stable and effective forms of vitamin C alongside other powerful ingredients.
• REDUCE visibility of dark spots and hyperpigmentation
• REPLENISH health and hydration of skin
• REINFORCE skin's protection against free radicals
• RESTORE skin tone for a youthful glow

The unique forms of vitamin C featured in the Brighten collection overcome the challenges of traditional forms of vitamin C by providing a sustained release, enhanced effectiveness and better stability to help promote a more radiant appearance.
The forms of vitamin C found in Brighten products, Sodium Ascorbyl Phosphate (Stay-C® 50) and THD Ascorbate, are clinically proven to help reduce free radicals, promote collagen synthesis, brighten the appearance of age spots, even out skin tone, and reduce skin roughness without the irritation and instability that occurs with other forms of vitamin C. In particular, Sodium Ascorbyl Phosphate is effective yet gentle; this makes it suitable for all skin types including sensitive and acne prone skin.
PRODUCT SKIN TYPE
ANTIOXIDANT CE PLUS SERUM
Normal to Dry Dry
Biopelle Brighten is a skincare line that utilizes stable and effective forms of vitamin C plus a multitude of additional anti-aging ingredients to help prevent free radical damage, promote collagen synthesis, even out skin tone and reduce the appearance of fine lines and wrinkles, hyperpigmentation, and skin roughness. The line of products features facial serums and an eye serum for AM and PM usage for more rejuvenated, brighter and more radiant looking skin.
FEATURES & BENEFITS
Brightening botanical blend to enhance skin luminosity. Synergistic antioxidant blend for free radical defense. C + AHA RENEWAL SERUM
Normal to Oily Oily
TRIPLE ACTION
EYE SERUM
KNR SERUM
Normal Combination Oily Dry
Normal Combination Oily Dry
Stable, effective, gentle vitamin C suitable for sensitive skin.
Addresses dark circles, puffiness, fine lines and wrinkles.
Night time serum helps brighten throughout the evening.
Kojic and niacinamide help reveal a more even skin tone.
AHAs exfoliate to reveal a brighter, smoother skin appearance.
Addresses dark circles both vascular and hyper-pigmentation.
Retinol helps to reveal a brighter, smoother skin appearance.
Daily use cleansers that feature Glycolic Acid and Taurine for daily skin cleansing, leaving the skin fresh, smooth and free of impurities.


• Remove dull, dead skin cells
• Leave your skin feeling soft and smooth
• Reduce the appearance of fine lines and wrinkles
• Taurine decreases irritation from acid exfoliation
SKIN TYPE: All skin types.
PRODUCT USAGE: For daily use. Cleanse skin in morning and evening.
INGREDIENT
GLYCOLIC ACID (10% GEL, 2.2% CREAM)
DESCRIPTION BENEFIT
EXFOLIATOR
AHA that penetrates skin to increase stratum corneum turnover, improves texture and feel
ANTI-INFLAMMATORY
Free amino acid, provides enhanced exfoliation while decreasing irritation
Helps reveal fresher, younger skin underneath dead skin cells
Enhances exfoliation while decreasing skin irritation

Exfoliation is an essential part of a healthy skincare regimen. Exfoliation removes dead skin cells from the uppermost layer of your skin to reveal the fresher, younger skin underneath.
Sloughing off these dead skin cells will help to even out the appearance of skin tone while removing pore clogging dirt and oil. The EXFOLIATE line of products include a unique and synergistic combination of AHA PLUS Taurine that provide enhanced exfoliation while decreasing the irritation that is often associated with glycolics.
• Exfoliates dead skin cells while minimising irritation
• Delivers the appearance of smoother, younger-looking skin
• Diminishes the appearance of fine lines
• Helps smooth skin’s texture
• Helps even skin tone
While it’s natural for skin to change as it ages, most of these changes are a result of environmental and sun damage. The sun’s UV rays and certain pollutants put you at risk of DNA damage and can accelerate premature skin ageing.
DNA is the building block of life and the key to cellular health and survival. DNA Repair is vital for repairing and maintaining youthful looking skin.
DNA is stored in cell nuclei and mitochondria:
• Nucleus DNA is responsible for cell activity
• Mitochondrial DNA is responsible for cell energy
Nuclear and mitochondrial DNA necessary for all cellular functions including:
• production of new cells
• formation of cell proteins and other components
DNA damage occurs daily and is naturally repaired within the body. The body’s natural repair process begins to slow in your 20’s.
• Damage occurs within the first 20 mins of UV exposure.
• DNA damage occurs extrinsically and naturally within our metabolic process’s.
• Good news – we create our own DNA repairing enzymes.
• Bad news – we don’t create enough, body produces only 50% of repairing enzymes that we need.
UV Damage is two fold:
• Oxidative Lipid Damage: triggers phospholipase, cyclogenase and lipoxygenase controlled with anti-oxidant protection
• DNA Damage: UV-B rays attack DNA in the cell nucleus free radicals will ultimately damage DNA modifies gene expression and releases cytokines
UV > increased Superoxide Reactive Oxygen
Species (ROS) from mitochondrial cell respiration:
• DNA absorbs UV > reactive electron release and formation of ROS
• UV > Nuclear DNA strand breakage and cross-linking > Pyrimidine Dimers
• DNA damage and cells’ impaired ability for self-repair greatest in melanocytes.
• Damaged skin cell nuclear and mitochondrial DNA unable to replicate
• I nhibition and cessation of normal cell function.
• As a result skin cells including melanocytes can: become senescent or dormant and cease function undergo apoptosis mutate and replicate abnormally form pre-cancerous and malignant skin lesions.
• UV Exposure creates cyclobutane pyrimidine dimers (CPDs)
• CPDs distort the DNA helix, blocking transcription and replication
• CPDs are the most tocix and mutagenic of UV-induced damage to DNA
• CPD creation must be reversed in order for DNA to be repaired
Our skin cells have built-in protective mechanisms that use DNA repair enzymes, which are molecules that prompt chemical changes to repair UV damage. Scientists have now encapsulated such enzymes in a liposomal delivery system so that they can be topically applied, allowing them to penetrate the skin and supplement its natural protective abilities.
Topically applied DNA repair enzymes can reverse free radical damage caused by UV exposure. DNA Repair can be broken down to three steps:
1. Reversal of damage.
2. Excision of damage.
3. Protection against future damage.


When advanced photodamage has taken its toll, DNA Repair is an essential component to returning the skin to a healthy and youthful appearance.
PRESCRIBEDsolutions® introduces two DNA repair products which work with the body’s natural DNA repair process to address multiple stages of DNA damage, delivering total DNA Repair utilising:
• Photosomes ® – (Plankton extract) harnesses UV rays to activate the body’s natural repair process and break dimer chains.
• Roxisomes ® – (Arabidopsis thaliana) extract provides OGG-1, the body’s enzyme that excises DNA damaged by oxidation.
• Ultrasomes ® – (Micrococcus lysate) is T4N5, the body’s enzyme that extracts DNA mutations.
• Unirepair ® T 43 – a proprietary blend of amino acids and energy boosters provide the precursors to the body’s natural repair process.
Each of the products in DNA Repair provide more than just DNA Repair. These Triple-Action products multi-task to streamline regimens and deliver enhanced results.
PRESCRIBEDsolutions® DNA Repair is essential for repairing, protecting and maintaining youthful looking skin.
Suitable for all patients and all skin types, particularly for:
• sun or photo damaged skin
• melasma
• ageing skin


Patients used a 12 week regimen that included:
TIME PRODUCTS USED AM
Urbane Renewal
Triple Action Anti-Oxidant Serum Sunscreen
Urbane Renewal
Triple Action Anti-Oxidant Serum
Clinical evaluation after 12 weeks showed:
PM
Cream – No Sugar
Triple Action Anti-Glycation Cream




Urbane Renewal ® Triple-Action Anti-Oxidant Serum is a light serum with a heavy arsenal of ingredients that repair and protect. DNA is repaired, protected and re-energised against UV damage and free radicals.

1. DNA Repair. Contains a unique complex of ingredients that repairs damaged DNA, including Photosomes ® , Roxisomes ® and Ultrasomes ®
2. Urban Anti-oxidant. Anti-oxidants have been shown to protect against free radicals found in pollutants, smog, cigarette smoke and pesticides. Contains osmopur, hydrolyzed algin, lepidium sativum sprouts, thermus thermophillus, ergothioneine and hedychium spicatum extract.
3. Mitochondrial Repair. Contains creatine, which maintains cell energy to speed natural repair.
PRODUCT USAGE: Used primarily in the morning, but can be used twice a day. AM: After cleansing, apply 1 pumpful onto palm. Massage onto forehead and work down to the neck and décolleté.


Cream – No Sugar® Triple-Action Anti-Glycation Cream is so luxurious you won’t believe your skin is on a sugar-free diet. Protect skin against ageing while repairing DNA with this hydrating cream.

1. DNA Repair. Contains a unique complex of ingredients that repairs damaged DNA, including Photosomes ® , Roxisomes ® and Ultrasomes ®
2. Anti-glycation protection. Contains carnosine and saccharomyces ferment filtrate, helping to maintain skin suppleness and stimulate elastin production.
3. Moisturising. Emollient vehicle with shea butter moisturises dry skin. Also contains cocoa seed butter, sunflower seed oil and soluble collagen.
PRODUCT USAGE: Used primarily in the evening. An ideal cream for older skin types. After evening cleansing, apply to face, neck and décolleté.


This slimming, contouring and firming body cream compliments medical body shaping therapies, using the latest technology to help reduce the fatty look of cellulite, help improve circulation and boost the metabolism of fat cells.

• To help visibly smooth, slim and tone while helping to reduce the appearance of cellulite.
• Helps diminish appearance of thighs, hips, abdomen, buttocks and loose skin under the chin.
• Can be used from the neck down.
PRODUCT USAGE: Massage onto body, legs, chest and neck twice a day for a minimum of 30 days making sure that no excess remains. Wash hands thoroughly after applying.
VISIBLE RESULTS AFTER 60 DAYS

Reduction in waist size
Inches lost using Body of Knowledge Inches lost using placebo
• Patients lost 1.5 inches from waist over 60 days.
• Helps to visibly smooth and firm skin appearance.
• Rapidly absorbed.
• Great compliment to aesthetic body procedures.
Reduction in waist circumference when Body of Knowledge was applied twice per day for 60 days.
Source: H. Lund, M.D., June 2007.
VISIBLE RESULTS AFTER 60 DAYS


Before and after slimming results when Body of Knowledge was applied twice per day for 60 days.
Enhances triglyceride breakdown which supports the reduction of fat.
Proprietary blend includes:
• Methylsilanol carboxymethyl theophylline alginate: extract naturally found in tea and cocoa helping to enhance fat breakdown.
• Laminaria digitata extract: helping to enhance fat breakdown.
Reduction in waist and knee size for 25 patients, non-obese with localised celluite over 60 days containing 6% Slimming Complex.
Source: Levrier, Gynecology College Bordeaux, France.
CLINICAL TRIALS: 80% lost between 1.2 and 2.4 inches after 30 days. Similar results from hips, thighs and waists.
Reduction in buttock and thigh circumference when Reducing Complex was applied twice per day for 60 days on 20 patients.
Source: Lipotec, University of Milan 2005.
CLINICAL TRIALS: Patients experienced significant decrease in buttock, thighs and hip circumference. 95% of patients reported less evident skin nodules, and 75% had a reduction in the fatty “orange peel” look.
• Bitter orange flower extract: flavonoids/ flavones help facilitate the draining of the skin tissue by helping to stimulate microcirculation via their vasodilating activity.
Anticellulite extracts + peptide in a liposomal formulation that enhances penetration.
• Reduces fat maturation: prevents cellulite formation.
• Increases breakdown of fats: reduction in thigh and buttock size.
• Increases microcirculation: improves skin appearance.
• Scavenges by-products from breakdown of fats: reduces reactive aldehydes which can cause oxidative damage.
• Proprietary blend includes: caffeine, TEAhydroiodide, carnitine, escin, ivy extract, butcher broom extract is composed of ruscus aculeatus root extract, GHK tri-peptide.

1. Rzepecki AK, Murase J, Juran R, Fabi S, McLellan B. Oestrogen Deficient Skin: the role of topical therapy. Int J Womens Dermatol; 2019, in press.
2. Archer DF. Postmenopausal skin and Oestrogen. Gynecol Endocrinol. 2012; 28(suppl 2):2-6. doi:10.3109/09513590.20 12.705392.
3. Draelos ZD. A double-blind randomized pilot study evaluating the safety and efficacy of topical MEP in the facial appearance improvement of Oestrogen deficient females. J Drugs Dermatol; 2018;17(11):1186-1189.
4. Cohen JL. Evaluation of Efficacy of a Skin Care Regimen Containing Methyl Estradiolpropanoate (MEP) for Treating Oestrogen Deficient Skin. J Drugs Dermatol; 2019; 18(12);1226-1230
5. SG Fabi, et al. The Effects of Filtrate of the Secretion of the Cryptomphalus aspersa on Photoaged Skin. Journal of Drugs in Dermatology; 2013, 12(4): 452-457.
6. Tribo-Boixareu, MJ et al. Clinical and Histological Efficacy of a Secretion of the Mollusk Cryptomphalus aspersa in the Treatment of Cutaneous Photoageing. Cosmetic Dermatology; 2009, 22(5); 247-252.
7. J. Espada et al. Cryptomphalus aspersa mollusk eggs extract promotes migration and regenerative behaviour of human keratinocytes and mesenchymal stem cells in vitro. Society for Investigative Dermatology (SID); 2014.
8. J. Espada et al. Cryptomphalus aspersa mollusk eggs extract promotes migration and prevents cutaneous ageing in keratinocytes and dermal fibroblasts in vitro. International Journal of Cosmetic Science; 2014, 1-15.
9. M. Truchelo et al. Efficacy of a New Cosmetic Combination for a Global Approach of Photoageing; EADV 2015.
10. Z. Draelos. A Single Center Evaluation of the Ability of Tensage Stem Cell to Improve the Visible Signs of Ageing; 2016.
11. Gold MH, Kircik LH, Bucay VW, Kiripolsky MG, Biron JA. Treatment of facial photodamage using a novel retinol formulation. J Drugs Dermatol; 2013 May; 12(5): 533–40.