The Southington | Plainville Citizen

Page 1

Celebrating MLK Jr.

SOUTHINGTON The sanctuary of First Baptist Church of Southington was filled with church members and guests Sunday, Jan. 15 for a day of celebration of Martin Luther King Jr. This year marked the 25th inperson Martin Luther King Jr. celebration for the

church. Organizers say the event is the only large ceremony in town recognizing King, his mission, and his accomplishments.

This year’s church event adopted the theme “Equality in the Future/Quality of Education,” which was part of the morning worship and followed by a special reception.

The celebration opened with a performance of “Pescador De Hombres” (Lord, You Have Come to the Seashore) played by Saul Olivas on the traditional Mariachi or Jalisco-style harp. Olivas is the Mariachi instructor of The Spanish Community of Wallingford’s School of Music.

See MLK, A6

Memory

Magnificent

Eighth grader wins Dream Big!

PLAINVILLE Sofia Valentina Ruiz, an eighth grader at Middle School of Plainville, was a grand prize winner in the Connecticut Higher Education Trust (CHET) Dream Big! Competition.

Ruiz, 13, earned the top award for grades five through eight. She said her $25,000 winnings would go toward her college education.

The CHET Dream Big! Competition started in 2013 and has awarded over $4.5 million to Connecticut students, helping them pay for future educational expenses. Students in kindergarten through twelfth grade could submit drawings, short essays or videos an-

swering a question posed to their grade level group.

Ruiz wrote about improving her community by getting Hispanic voices heard through having an assembly or speech on racism and equality. While Ruiz said her mother encouraged her to enter this contest, she said she thought “this is also a good way to get my voice heard, to get people that look like me, that share my language and culture out there and to realize that anything can happen at any moment without any witnesses. ”

“I am extremely lucky to have this opportunity and that people like me from different backgrounds can do the same,” Ruiz added.

See Dream, A7

• Robust activities program.

• Specialized diets available.

• Fully inclusive rates includes personal care.

• Transportation services available.

Volume 20, Number 3 Friday, January20, 2023 www.southingtoncitizen.com
Saul Olivas, a mariachi instructor from the Spanish Community of Wallingford’s School of Music, plays the Mariachi harp during Sunday, Jan. 15’s Martin Luther King Jr. rememberanceeventatFirstBaptistChurchofSouthington. Nicole Zappone, The Citizen
~ SPECIAL SECTION ENCLOSED ~ LOOK INSIDE! 257378v2
studios and one-bedroom suites. New amenities: Beauty salon, movie theatre, exercise center.
and Supportive Care
Specialized programs for clients with memory issues
Secured environment
On-site medical services for both behavioral and medical needs
Luxury Independent Living Suits also Available 203.272.2902 • www.marbridgeweb.com Magni cent Retirement Care

Townwide business audit considered for Southington

SOUTHINGTON Town leaders are considering an audit of the personal property of hundreds of local businesses.

While business owners are required to list equipment, machines and other items associated with their company, the town’s assessor Teresa Babon said nearly 500 refuse to do so or don’t specify what property they have. That forces her to make a best guess as to the value of their taxable property, she told Town Council leaders last week.

Businesses are taxed on real estate and motor vehicles in addition to smaller items such as computers, office supplies and furniture.

“We are trying to make sure the proper proportion of taxes are paid by not just the residents but the businesses, ” Babon said Jan. 9. She suggested that Tax Management Associates Inc., a national firm, undertake a three-year effort to audit every business that has more than $50,000 of personal property. That amounts to more than 400 local businesses that would be subject to audits.

$2M in tax revenue

Representatives of Tax Management Associates told Town Council members that the audits would likely generate an additional $2 million in taxes. In thousands of similar audits conducted around the county, they’ve found that just under half of businesses misreport personal property and that most corrections result in more taxes being owed to the town.

The company is paid a percentage of the additional tax revenue discovered.

In addition to the year of the audit, auditors would look at personal property value for the previous two years. If discrepancies are found, state statute calls for a 25 percent tax penalty.

Babon said her department conducts about 10 audits per year. There’s not enough manpower to check the declared personal property lists of businesses or to investigate those businesses that don’t provide such a required declaration.

About 2,300 entities in town are required to submit personal property declarations.

“I’m not getting the information I need from these companies,” she told Town Council members.

The goal of the town-wide audit wouldn’t be to raise more taxes, Babon said, but make sure everyone is paying what they should be paying.

“That’s the inequity we’re trying to rectify,” she said. Some businesses “are not paying their fair share.”

Burdening businesses?

Town Council members of both parties had concerns about burdening businesses with personal property audits. Such an audit would entail gathering documents and meeting with auditors for an on-site inspection of the company’s personal property.

Bill Dziedzic, a Republican councilor, said that’s a burden for many small businesses that are facing other challenges as well.

There’s no requirement to audit every business and Dziedzic suggested the tax department conduct a more limited number of audits where it believes there are problems.

“After two, three years of COVID, this is the worst time for it,” he said. “It’s very anti-business, a very unfriendly policy change.”

Dziedzic is an owner of a property management and real estate company. He’s not sure whether his business has more than $50,000 worth of personal property and whether his business would be subject to an audit if undertaken. Dziedzic was also unclear if he and other business owners, such as Democratic councilor Jack Perry, have a conflict of interest if the matter came up for a vote.

Perry, the owner of a local trash and recycling company, also opposed a townwide audit.

“Who reimburses (business owners) when they find nothing?” he asked of the audit. “We’re auditing our whole town and all of our businesses. It just sends, I think, the wrong message to the community.”

Val DePaolo, a Democratic councilor, spoke in favor of the audit during Monday’s meeting although she said Tuesday that she isn’t completely decided on the issue. The assessor’s office is already conducting audits, DePaolo said, and hiring Tax Management Associates or a similar firm would just be a more efficient and fair way to do them.

See Audit, A22

Plainville,

Southington&PlainvilleCitizen|southingtoncitizen.com A2 Friday,January20,2023
HOLCOMB Tree Incorporated Pruning, Cabling, Tree Removal
CT holcombtree@yahoo.com Office: 860-747-2805
Timothy Holcomb Licensed Arborist S-4442 • Est. 1940 • Fully Insured Visit us online at www.holcombtreeinc.com R256979 Contact Kathy 860-302-9700 text or call for more info KATHY KOPCHA HOME STUDIO of MUSIC WEEKLY LESSONS for 30 minutes in our Southington Home Studio. Certified Piano Teacher for over 30 years with a Music Education Degree in Piano PIANO LESSONS For all ages - Children and Adults 258280 R247292 300 New Britain Rd • Berlin, CT 06037 860-609-6167 • KatzFamilyDentalCare.com New Year, New Smile! SPECIALIZING IN IMPLANTS & INVISALIGN SPECIAL OFFERS!!! FREE Teeth Whitening with Veneers or Dental Implants. 50% OFF Teeth Whitening with Invisalign Treatment $1000 OFF Invisalign We have 3 great offers to help with your New Smile! CALL NOW TO SCHEDULE YOUR APPOINTMENT! All coupons expire Jan 31, 2023. Cannot be combined with any other offer and one coupon per patient. Please see office for details. www.southingtoncitizen.com 500 S. Broad St., Meriden, CT 06450 Southington/Plainville Citizen (ISSN 1559-0526 USPS 023-115) is published weekly by the Record-Journal, 500 S. Broad Street, Meriden, CT 06450. Periodicals postage paid at Meriden, CT and at additional mailing offices. POSTMASTER: send address changes to: Southington/Plainville Citizen 500 S. Broad Street, Meriden, CT 06450. ADVERTISING: Anthony K. Jordan — Media Consultant (203) 317-2327 | advertising@thesouthingtoncitizen.com Janet Mordino — Media Consultant 203-317-2446 | advertising@theplainvillecitizen.com NEWS / SPORTS: (203) 317-2245 | news@thesouthingtoncitizen.com Executive VP & Publisher — Liz White Notarangelo News Editor — Nick Carroll Assistant News Editor — Olivia Lawrence News reporter — Nicole Zappone Senior VP and Editor — Ralph Tomaselli Vice President of Advertising — Jim Mizener Creative Director — Erik Allison Circulation Department — 203-634-3933
Cell: 860-416-0668

Zingarella Pizzeria & Ice Cream Cafe to close

heartbroken over the decision, but was no longer able to operate the business with the current challenges facing the industry.

With the retirement of executive chef Angelo DiDomenico, who has helped tailor the menu of the restaurant since its opening day, Zommer saw it as the best time to close.

“It breaks my heart to say goodbye to this part of my life. It’s been a memorable journey. The people I’ve met along the way and the relationships that have blossomed will be difficult to leave behind,” Zommer said in a statement on Facebook.

develop it into another eatery, hoping to add something meaningful to the Plantsville community in Zingarella’s absence.

“It kills me. I mean, not only did I grow up in Southington, I was born and raised. I made so many friends and met so many people, and it

really, really stinks. Because I think it’s one of the best restaurants in town, yet we’re not making enough money to keep our doors open, ” said Zommer.

According to Zommer, the business has seen trans-

SOUTHINGTON Zingarella Pizzeria & Ice Cream Cafe, a fixture of Plantsville center for 11 years, will permanently close its doors on Feb. 14.

Citing fewer customers, increasing food costs, and what they say is an oversatu rated restaurant market in Southington, the owners have opted to finally shut their doors following four turbulent years for the food industry.

Having poured his life savings into the venture, owner Mark Zommer said he was

Zommer plans to sell the property to another owner to

Words of Wellness

Sleep apnea is a common sleep disorder that causes shallow breathing or breathing that stops and starts throughout the night. Affecting both men and women, it is a dangerous condition that adds up to a bad night’s sleep. The good news is that those with sleep apnea can benefit from seeing a skilled chiropractor. Sleep apnea may be linked to spinal and nerve abnormalities that can be corrected with chiropractic adjustments. Many apnea sufferers may not know they have the condition unless they are observed by someone else. Symptoms include a sore throat upon waking, waking abruptly from sleep by choking or gasping for air, and low energy. In addition to receiving Chiropractic, using a sleep apnea machine prescribed by a lung specialist, can help treat the symptoms of sleep apnea.

Chiropractors can work together with a pulmonologist to determine if any additional factors may be increasing the likelihood of experiencing breathing disruptions throughout the night. They can help narrow down if any underlying factors may be leading to sleep apnea. To learn more, please call 860-6212225 or make an appointment to see us at 200 Queen St., Southington. P.S. Sleep apnea is common in people who are overweight or who smoke.

Southington&PlainvilleCitizen|southingtoncitizen.comFriday,January20,2023 A3
ZingarellaPizzeria&IceCreamCafe. Aaron Flaum, Record-Journal
Water Heaters • Well Pump Service • Water Quality Service Drain & Sewer Cleaning/Repairs • Heating Systems Sink, Faucet, Toilet, Shower, Disposal Service For 35 years, our family taking care of your family! R247318 860-225-1534 RileyPlumbingCompany.com • Kensington, CT 06037
See Zingarella, A20
The answers you need. The Care you Deserve. Visit our website:
CHIROPRACTIC NUTRITION ACUPUNCTURE SPINAL DECOMPRESSION 256428v2
RayaClinic.com
HELP FOR SLEEP APNEA 96418 www.bristolhearingaids.com Joanne Cyr-Callaghan, BC-HIS Board Certified Hearing Instrument Specialist 860-506-3720 | 72 PINE ST., BRISTOL Because I Wear Hearing Aids Myself, I Understand Hearing Loss. MEDICAID ACCEPTED VOTED BEST HEARING SPECIALIST YEAR AFTER YEAR BEST OF READERS’ POLL 2021 BEST OF READERS’ POLL 21 96418 www.bristolhearingaids.com Joanne Cyr-Callaghan, BC-HIS Board Certified Hearing Instrument Specialist 860-506-3720 | 72 PINE ST., BRISTOL Because I Wear Hearing Aids Myself, I Understand Hearing Loss. MEDICAID ACCEPTED VOTED BEST HEARING SPECIALIST YEAR AFTER YEAR BEST OF 20 21 BEST OF READERS’ POLL 20 21 96418 www.bristolhearingaids.com Joanne Cyr-Callaghan, BC-HIS Board Certified Hearing Instrument Specialist 860-506-3720 | 72 PINE ST., BRISTOL Because I Wear Hearing Aids Myself, I Understand Hearing Loss. MEDICAID ACCEPTED VOTED BEST HEARING SPECIALIST YEAR AFTER YEAR BEST OF READERS’ POLL 20 21 BEST OF READERS’ POLL 20 21 96418 www.bristolhearingaids.com Joanne Cyr-Callaghan, BC-HIS Board Certified Hearing Instrument Specialist 860-506-3720 | 72 PINE ST., BRISTOL Because I Wear Hearing Aids Myself, I Understand Hearing Loss. MEDICAID ACCEPTED VOTED BEST HEARING SPECIALIST YEAR AFTER YEAR BEST OF READERS’ POLL 20 21 20 21 R256114 Myranda LaPira, HIS Hearing Instrument Specialist WE DO SALES AND SERVICE OF MOST HEARING AIDS R256985

Wellness expo

Exhibitors and speakers are sought for the 10th Bi-Annual Passport to Health & Wellness Expo, which will be held April 23, 10 a.m. to 4 p.m., at The Bristol DoubleTree by Hilton.

Also, vendors are sought for expos which will take place May 21 and Sept. 17 at the VFW in Plainville.

Contact Shirley Bloethe at 860-989-0033 or yourholisticevents@gmail.com, or visit yourholisticevents.com.

Blood drive

An American Red Cross Blood Drive will be held Friday, Feb. 3, 1 to 5:30 p.m., at Plainville United Methodist Church, 56 Redstone Hill Road. Call 1-800-733-2767 or go to redcrossblood.org to make appointment.

Food for Fines

The Southington Public Library is extending its annual Food for Fines program until Feb. 1. Patrons can bring their library card and non-

perishable food items to the Circulation Desk to remove fines. New mittens, scarves and hats are being collected as well.

Comedy Night

Project Graduation 2023 has planned a Comedy Night fundraiser for Saturday, Feb. 11 at the Plainville VFW, 7 Northwest Drive. Doors open at 7 p.m.; show starts at 8. Tickets are $20 in advance; $25 at the door. Contact Judy Autummo at 860-883-2482.

Little League

Registration for the 2023 Plainville Little League baseball and softball spring season is now open. Visit plainvillelittleleague.com.

Wall of Honor

Southington High School’s Wall of Honor committee announced a March 1, 2023 deadline for nominations.

The public is invited to nominate a graduate from SHS that qualifies under at least one of the following criteria –outstanding community service, significant awards received, lifetime achievements or humanitarian work.

Applications available on the Southington Public Schools website.

Gala, auction

The Southington Catholic School family’s 7th Annual Gala and Auction, “Shake, Rattle & Roll,” is planned for

Friday, Feb. 3 at the Aqua Turf Club. For tickets, and information about donating an auction item or placing an advertisement in the program, email gala@southingtoncatholicschool.org.

Volunteer opportunities

Volunteer opportunities are available throughout the Community Foundation of Greater New Britain’s fourtown service area Berlin, New Britain, Plainville and Southington. Volunteer opportunities can be found at cfgnb.org.

Ski Club

The North Haven Ski Club encourages people interested in winter sports (skiing, snowboarding, cross country skiing, tubing, snowshoeing) to join and take advantage of the great discounts offered to members. Contact Annette Murphy: 203-927-3071 or dapdmurph@aol.com.

Nzinga Center

The Queen Ann Nzinga Center, Inc., which provides arts enrichment activities for children age 5 to 17, is accepting new participants. The center promotes positive youth development among children of all races and abilities primarily in the greater Plainville, Berlin, Bristol and New Britain area. Visit QANC.org.

Southington&PlainvilleCitizen|southingtoncitizen.com A4 Friday,January20,2023
In Brief GROW YOUR BUSINESS Advertise with us. 203-317-2312 R256904 CALL FOR A FREE CONSULTATION! (203) 272-4485 Year Round Tree Service HIC# 0581892 • B-3163 AWARDS Voted Best Tree Surgeon 5 years in a row! R256782v3 Southington Over 30 Years in Business Nadeau Construction Additions Bathrooms Vinyl Siding Decks R258180 HIC# 0531413 860-919-6592 Starling Welcomes Stephen Sales, PA-C to our Internal Medicine Department at 184 East Street, Plainville. With over 35 years of experience as a PA, he prides himself on his kind and empathetic care. Stephen is excited to join doctors Peter Harris, David Roy, Oosman Tariq and Ashley Bogue, PA-C to continue to serve the Plainville community. For an apponitment, call 860.747.5766 or visit starlingphysicians.com for information. R257193

Free workshops offered to non-profits

Press Release

The Community Foundation of Greater New Britain –“Where Good Begins” in Berlin, New Britain, Plainville and Southington –will offer a series of workshops for non-profit organizations in 2023 that will provide learning opportunities that support their operations and build their capacity.

The Capacity Building Workshop Series will consist of 10 workshops, beginning in February, focusing on the areas of staffing; building a strong board of directors; social media and web integration and philanthropy and fundraising.

Various experts will lead the workshops, which will be offered free of charge to organizations based in or significantly serving the communities of Berlin, New Britain, Plainville or Southington. All trainings will take place in New Britain.

“When workshops were offered in 2018 and 2019, the demand was a clear indicator that non-profit organizations valued what was offered,” said Joeline Wruck, director of Community Initiatives and Program Services for the Community Foundation of Greater New Britain. “The offerings for 2023 were created based on survey input from our local organizations and subsequent meetings. We are excited to get back to meeting in person.”

Non-profit organizations may apply to participate in only one workshop, or all 10.

The series is not designed for municipal or quasi-governmental organizations. Volunteer-run organizations are eligible if they have a governing board of directors in place.

Workshop instructors include experts in the field, including Alicia Davis and Sta-

cie Watson from Transformative Leadership Strategies in West Hartford; Sharon Danosky from Danosky & Associates based in Sherman; and Sondra Dellaripa from Harvest Development Group in New Haven.

Organizations that attend seven of the 10 workshops will be eligible to apply for a grant award of up to $2,000 at the end of the training sessions. The grant will support implementation of some aspect of what was learned from the sessions that will strengthen participating organizations.

Priority placement will be given to organizations that submit their application by Feb. 1.

To apply and also to see the full description of each offering, visit cfgnb.org. Direct questions to Joeline Wruck at 860-229-6018 ext. 307 or jwruck@cfgnb.org.

Southington&PlainvilleCitizen|southingtoncitizen.comFriday,January20,2023 A5
FACEBOOK.COM/ RECORDJOURNAL NEWSPAPER TWITTER.COM/ RECORD_JOURNAL INSTAGRAM.COM/ RECORDJOURNAL •Comprehensive Medication Reviews • One-on-One Pharmacist Counseling • Weekly Blister Packs for Seniors 860.222.9422 170 East Street | Plainville | www.plainvillerx.com M - F: 9 am - 7 pm Sat: 9 am - 2 pm Sun: Closed Plainville Community When You Call...Plainville Community Pharmacy Delivers! WE PROVIDE OUR PATIENTS WITH: • Immunizations/Flu Shots • Medical Supplies • Diabetic Supplies and Management Most major insurance plans accepted & affordable co-pays offered Vote for us as your favorite pharmacy! Annual Awards are back! We are your community pharmacy. When you need a prescription filled or have a question, we're here for you. Always. Flu Shots Available R258257_V2 St. Bridget School OPEN HOUSE 2023 Sunday, January 29th 10:00 - 12:00 AM Drop by and see what makes our school so great! Administration, Faculty, Staff and Students will be on hand to conduct tours and answer questions. Learn about our academic excellence and extracurricular activities. All are welcome! REGISTER TODAY! PK3 - Grade 8 for the 2023-2024 Year Dr. Nancy Testa, Principal, 171 Main Street, Cheshire | 203-272-5860 | www.stbridgetschool.org St. Bridget
by and see what makes our
great! Administration, Faculty, Staff and Students will
hand to conduct tours and answer questions. Learn about our academic excellence and extracurricular activities. All are welcome! REGISTER TODAY! PK3 - Grade 8 for the 2023-2024 Year Dr. Nancy Testa, Principal, 171 Main Street, Cheshire | 203-272-5860 | www.stbridgetschool.org St. Bridget School OPEN HOUSE 2023 Sunday, January 29th 10:00 - 12:00 AM Drop by and see what makes our school so great! Administration, Faculty, Staff and Students will be on hand to conduct tours and answer questions. Learn about our academic excellence and extracurricular activities. All are welcome! REGISTER TODAY! PK3 - Grade 8 for the 2023-2024 Year Dr. Nancy Testa, Principal, 171 Main Street, Cheshire | 203-272-5860 | www.stbridgetschool.org R258264 CT COMPLETE CHIMNEY, LLC SERVICE & CONSTRUCTION Masonry Contractor • Chimney Cleaning • Chimney Caps Chimney Sweeps • Chimney Relining • Chimney Repair Chimney Waterproofing • Chimney Flashing • Roof Repair Stone Walls - Front Steps • Concrete Brick & Block 24 HOUR EMERGENCY SERVICE Call us today for your chimney cleaning & inspection. (203) 419-7988 • ctcompletechimney.com Fully Insured • Lic.# 0671257 R258221
School OPEN HOUSE 2023 Sunday, January 29th 10:00 - 12:00 AM Drop
school so
be on

Sunday’s celebration continued with the traditional Baptist worship service followed by guest speaker Dr. Veronica Marion, manager of the Connecticut Statewide Family Engagement Center.

Marion spoke about efforts to improve student social,

emotional and academic outcomes through strong family, school and community partnerships. “If a child has a parent that participates in their life, they will succeed and do better in school,” she said. “Even if a parent doesn’t have a high school diploma, all they need to do is be a part of their child’s life.”

A resident of Waterbury, Marion said she has yet to

come across a parent who doesn’t want to see their child do well in life. She said that growing up, she was encouraged to become both a teacher and an administrator by her parents due to her love of children and education.

Marion has dedicated her career to working with and for children and families through various roles with resource centers and education programs.

Phyllis Wade is chairperson of First Baptist Church of Southington’s Martin Luther King Jr. celebration committee.

“It’s one way to reach out to the rest of Southington and the towns around,” Wade said of the annual rememberance. “There are only a few towns that have MLK celebrations, and we are very blessed to have one here at First Baptist.”

This MLK day was especially important to the church because they have not been able to hold it in person for the last two years due to the pandemic.

Wade was happy with the turnout Sunday, and pointed out that the crowd also included non-members of the church. Southington town

officials and council members were among the attendees. “I think the people here really enjoyed and appreciated the music,” Wade said.

Two students were honored for their character and accomplishments during the event. The 2023 honorees were Mame Diop from Kennedy Middle School and Jack Denorfia of DePaolo Middle School.

Southington&PlainvilleCitizen|southingtoncitizen.com A6 Friday,January20,2023
From A1 MLK FACEBOOK.COM/ RECORDJOURNAL NEWSPAPER TWITTER.COM/ RECORD_JOURNAL INSTAGRAM.COM/ RECORDJOURNAL SOCIALLY FACEBOOK.COM/ RECORDJOURNAL NEWSPAPER TWITTER.COM/ RECORD_JOURNAL INSTAGRAM.COM/ RECORDJOURNAL CONNECT WITH US SOCIALLY Home-like setting, 6 wks–6 yrs Nurturing infant/toddler program Preschool, Nursery School & Childcare Enrichment Programs include: Creative Art, Music, Physical Education, Computers, Spanish & Bookmobile Specializing in “hands-on” learning Tri-lingual, friendly, professional teachers, First Aid/ CPR Certified A TO GROW ! Kinder-Garden Learning Center 20 SO. BROAD TERRACE MERIDEN, CONNECTICUT 06450 Home-Like Setting 6 wks.–6 yrs. Nurturing Infant/Toddler Program Preschool, Nursery School & Childcare Enrichment Programs include: Creative Art, Music, Physical Education, Computers, Spanish & Bookmobile ♥ Specializing in “Hands-On” Learning ♥ Tri-Lingual, Friendly, Professional Teachers First Aid/CPR Certified (203) 686-1586 • Hours: Mon–Fri 7–5:30 • Kinder-Garden.net LIMITED OPENINGS AVAILABLE! “Love, Laughter Learning”& 203-686-1586 • Hours:
7–5:30 •
CALLLIMITEDNOW, OPENINGS AVAILABLE A FUN PLACE TO GROW ! Kinder-Garden Learning Center 20 SO. BROAD TERRACE MERIDEN, CONNECTICUT 06450 ♥ Home-Like Setting 6
yrs. ♥ Nurturing Infant/Toddler Program ♥ Preschool,
School & Childcare ♥ Enrichment
include:
Physical Education, Computers, Spanish & Bookmobile ♥ Specializing in “Hands-On” Learning ♥ Tri-Lingual, Friendly, Professional Teachers First Aid/CPR Certified (203) 686-1586 • Hours: Mon–Fri 7–5:30 • Kinder-Garden.net LIMITED OPENINGS AVAILABLE! “Love, Laughter Learning”& FUN PLACE TO GROW ! Kinder-Garden Learning Center TERRACE MERIDEN, CONNECTICUT 06450 ♥ Home-Like Setting 6 wks.–6 yrs. ♥ Nurturing Infant/Toddler Program ♥ Preschool, Nursery School & Childcare ♥ Enrichment Programs include: Creative Art, Music, Physical Education, Computers, Spanish & Bookmobile ♥ Specializing in “Hands-On” Learning ♥ Tri-Lingual, Friendly, Professional Teachers First Aid/CPR Certified • Hours: Mon–Fri 7–5:30 • Kinder-Garden.net OPENINGS 34777-01 “Love, Laughter Learning”& Full Day Care from Infants 3 PROGRAMS • 11 SITES • 77 YEARS OF EXPERIENCE Enroll your child today. Find out more at Before & After School Care ON SITE at all 8 Elementary Schools CHILDREN’S ACADEMY Enrolling now for Fall 2017! CHILDREN’S ACADEMY Enrolling now for Fall 2017! CHILDREN’S ACADEMY Meriden 125 Broad Street · 203.686.1438 Enrolling now for Fall 2017! CHILDREN’S ACADEMY Waterbury 22 Tompkins Street · 203.757.7012 128 Avenue of Industry · 203.591.1814 Meriden 125 Broad Street · 203.686.1438 Enrolling now for Fall 2017! CHILDREN’S ACADEMY Waterbury 22 Tompkins Street 203.757.7012 128 Avenue of Industry · 203.591.1814 Meriden 125 Broad Street · 203.686.1438 Enrolling now for Fall 2017! CHILDREN’S ACADEMY Waterbury 22 Tompkins Street 203.757.7012 128 Avenue of Industry 203.591.1814 Meriden 125 Broad Street 203.686.1438 Enrolling now for Fall 2017! Enrolling now for 2023! 258238 172 Grandview Avenue (Children’s Center) 203.437.8969 DAY CARE
Mon–Fri
kinder-garden.net
wks.–6
Nursery
Programs
Creative Art, Music,

Proper posture

Tuesday, Jan. 24, from 11 a.m. to noon, learn how poor posture can lead to numerous muscular-skeletal problems, including back pain, neck pain and joint issues, as well as what you can do to improve it.

Presented by Michelle Boisvert, exercise physiologist, Hartford HealthCare GoodLife Fitness. Registration is required. Call 1-855-442-4373 or go to HartfordHealthCare.org/VirtualClasses.

Dream

From A1

Ruiz’s parents Areen Torres Ruiz and Orlando Ruiz said that this contest helped their daughter develop her voice, as “she is learning how to advocate for herself and for others.”

CHET is Connecticut’s 529 college savings plan, said Tony Durkan, vice president,

head of 529 and CHET relationship manager at Fidelity Investments.

“The program is a great way for families to save for rising education costs, and family and friends can contribute

to your child’s account easily online,” Durkan said. “The best part there are no fees and no minimums to open a CHET account, and there are several tax advantage offers on contributions and earnings growth.”

Southington&PlainvilleCitizen|southingtoncitizen.comFriday,January20,2023 A7
Senior Health Growing with C h i l d ren since1967 FirstCongregationalPreschool 62 Colony St., Meriden • Handicap Accessible • State Licensed & NAEYC Accredited Call (203) 634-8886 for more information firstcongregationalpreschool.net Small classes with an emphasis on social and critical thinking skills 5-Day Preschool Program Childhood Should be a Journey, Not a Race 248047 AWARDS Voted Best Early Learning Center Readiness Funding Sliding Fee Call To Inquire About Our Competitive Before & After School Rates! Visit our website: www.carriagehousedaycare.com Various Enrollment Options Available WHERE
Serving the Meriden Community For More Than 20 Years Established Since 1991 320 Colony St., Meriden Convenient Location - Easy Access to I-691/91 Open year-round Mon.-Fri. 7am - 6pm Carriage House is proud to offer the following educational curriculum programs: � The Funshine Express curriculum is utilized for all age groups � In addition, Pre-K children also utilize Connect 4 Learning School Curriculum •Infants through School Age Programs •Provides Quality Care To Children 6 Weeks To 12 Years of Age •Caring and Nurturing Staff •Affordable Rates, accepts Care 4 Kids and other third party payments •Minimal Holiday Closings •Special Events throughout the year for our center families • Intergenerational Activities with residents of The Bradley Home •Secure facility with single entrance Register Now carriagehousedaycare.org 2022-2023 We have openings in our PRESCHOOL classrooms! SET UP A TOUR TODAY Contact Emily Walter at ewalter@wallingfordymca.org We are proud to offer financial assistance & accept Care4Kids. Find out more at wallingfordymca.org/ylc R258341 DAY CARE
EARLY LEARNING BEGINS

Experts discuss ways to battle seasonal depression

Despite this winter being a bit warmer than in past years, people are still struggling with seasonal affective disorder (SAD), also known as winter depression.

“We think the most important factor is the light dark cycle, so even if the season is a little bit warmer, usually it is still cold so it’s not like people are going outside and getting more light,” said Paul Desan, associate professor of psychiatry at Yale School of Medicine. “So we’re certainly seeing many patients complaining of seasonal affective disorder this year. The truth is, it’s just plain dark when people get up in the morning and dark when they are on their way home from work.”

Desan said that it is normal for human beings to feel worse during the winter months, but some people

experience bigger changes in mood and behavior in the winter months, meaning they might meet the criteria for SAD.

“Nine out of ten people will tell you they feel worse, in at least one domain, during the winter at this latitude,” Desan said. “... The surveys would suggest that up to five percent of people at this latitude, Connecticut, that is, this mid-Atlantic latitude, have seasonal affective disorder.”

People who have SAD experience changes in their mood, their energy levels, their sleep patterns, their appetite and their self esteem.

Desan said there is also Subsyndromal Seasonal Affective Disorder, which is when people have some of the symptoms of SAD, but not all of them.

“They don’t have the full set of symptoms,” Desan said.

“The most common kind of

Subsyndromal Seasonal Affective Disorder are people who report very poor energy in the winter.”

Elizabeth Calandra, licensed marriage and family therapist at Silver City Counseling in Meriden, said that she has seen a steady rate of clients that come in with SAD.

“The one thing that I have noticed is that the people that are living with this diagnosis is that they are asking to come into the office because it gets them out of the house,” Calandra said. “Give them the ability to break up the day a little bit. I have seen that, as opposed to doing telehealth.”

Tips

Desan said that for people who had SAD or Subsyndromal Seasonal Affective Disorder, it is imperative for them to use a bright light right in the morning. He suggests people use a light with 10,000 lux. For his sug-

gested light, go to: https:// medicine.yale.edu/psychiatry/research/programs/clinical_people/winter/

“The research now is for half an hour, seven days a week before 8 a.m,” Desan said. “So in other words, bright light probably makes people feel better any time of the day, but it’s the most powerful first thing in the morning … 10,000 lux is a lot of light. That’s like being outside in the middle of the summer.”

Along with light therapy, opening blinds or curtains can also help, Calandra said.

“I recommend when you’re waking up, lift up the blinds, open the curtains,” Calandra said. “Try to do things that will help with light.”

Calandra also suggests that people try to interact with others during the day.

“It’s really easy to want to isolate and not stay connected with friends or family or coworkers,” Calandra said. “Try your hardest to reach out. Make plans. Planning for the positive. Try to set something in the future that’s a positive activity that you’re looking forward to.”

Both Calandra and Sharon Clayman, clinical psychologist based out of Cheshire, said staying active is important.

“Even if you can’t get outside, some movement in the

house,” Clayman said. “Movement, good diet, really make sure you’re eating well.”

For people who work at home, Calandra said to start small.

“Maybe you crack a window in your house, so you get a little bit of fresh air,” Calandra said. “Pick up the phone and call somebody. You start with the things you can do with your resources at hand and then you build upon it.”

If someone is really struggling with SAD or Subsyndromal Seasonal Affective Disorder and they are a remote worker, Clayman said to either see if you can start working in the office again or go somewhere else, outside of the home, to work.

“Some people just do better by getting out of their space,” Clayman said. “It’s hard if it’s not a good match for you to be working from home and you’re working from home, in which case I would see if you could work from another space Get up, go for a walk during lunch, have a bite to eat. Go out, get yourself a coffee.”

Lastly, if someone is having a tough time battling SAD finding a therapist may be a next step. Calandra said “psychotherapy is one of the best things you can do” and typically the treatment model is cognitive behavioral therapy, which helps the patient become aware of negative thinking so they can respond to it in effective ways.

“Therapy might be a really great thing to consider,” Clayman said. “… Sometimes just our problem solving with a therapist can be enough to help.”

Southington&PlainvilleCitizen|southingtoncitizen.com A8 Friday,January20,2023
GO MOBILE /Classifieds RECYCLE YOUR OLD NEWSPAPERS Please & Thank you. Matt’s Pro Plumbing www.mattsproplumbing.com 860-922-9976 • Fast, dependable, friendly service • Full plumbing & carpentry service • Free estimates over the phone! NO SMALLTOOJOB Includes demo, haul away, sub-floor, plumbing, Kohler fixtures, installations of Kohler tub or shower enclosure, fiberglass units+ $3,999 Licensed&Insured, Lic# 2 82931 The Bathroom Remodeling Specialist We offer tub and shower conversions If you need a tub or shower replaced, CALL THE TUB MAN 256932

been the loving husband of the late Mildred (Kosienski) Kordys for 48 years. Ed is survived by his 3 daughters; Denise Carriera of West Palm Beach, FL, Teri Gaberman of Wilton, CT and Cynthia Kordys of Swanzey, NH; 3 grandsons Jason, Jonathan and Aaron, 2 great-grandsons, Brandon and Christian, his longtime companion and caretaker, Helen Barone and several nieces and nephews. Ed was predeceased by his son Edward L. Kordys and 7 siblings.

Obituaries

Carmela A. Hooper

SOUTHINGTON

Carmela A. Hooper, longtime resident of Southington, passed away peacefully at home on January 12, 2023 surrounded by her two daughters. She was 87.

Beach, and Tennessee. She will be remembered for her sense of humor, her ability to carry on conversations with strangers no matter where she was, her love of family and friends, and her kindness.

Mike Hadder.

Edward P. Kordys

SOUTHINGTON

Edward P. Kordys, 94, of Southington, passed away peacefully on Tuesday, January 10, 2023 at HOCC at New Britain. He had

SOUTHINGTONEdward P. Kordys, 94, of Southington, passed away peacefully on Tuesday, January 10, 2023 at HOCC at New Britain. He had been the loving husband of the late Mildred (Kosienski) Kordys for 48 years. Ed is survived by his 3 daughters; Denise Carriera of West Palm Beach, FL, Teri Gaberman of Wilton, CT and Cynthia Kordys of Swanzey, NH; 3 grandsons Jason, Jonathan and Aaron, 2 great-grandsons, Brandon and Christian, his longtime companion and caretaker, Helen Barone and several nieces and nephews. Ed was predeceased by his son Edward L. Kordys and 7 siblings. Plantsville Funeral Home has been entrusted with handling the funeral arrangements. For online condolences, please visit www. plantsvillefuneralhome. com.

Plantsville Funeral Home has been entrusted with handling the funeral arrangements. For online condolences, please visit www.plantsvillefuneralhome.com.

Born in Southington, she was the daughter of the late Jennie and Alphonse Morelli and she attended the local schools in town. She was employed at the former Howard Johnson Motor Lodge for many years and worked as a housekeeper until retiring in 2000.

She was a member of Mary Our Queen Church for many years. Carmela enjoyed her travels to Florida, California, Virginia

She is survived by her two loving daughters, Elizabeth Monahan (Brian Monahan), Patricia A. Hooper (Bill Monahan), her loving and devoted brother Alphonse Morelli, and her grandchildren Pamela Coty, Adam Scheck, Amberlyn Monahan, and James Monahan. Carmela also had four greatgrandchil dren, Mathew, Ian, Xavier, and Alexa. She was predeceased by her husband of 46 years, Garland W. Hooper, and longtime friend and companion,

Friends and family are invited to a calling hour on Monday, January 23, 2023 10:00-11:00 AM, with a funeral service to immediately follow at the DellaVecchia Funeral Home, 211 North Main Street, Southington, CT 06489. A private burial will take place in the spring. To leave an online condolence, please visit www.dellavecchiasouthington.com.

In lieu of flowers, please consider making a memorial donation to a charity of your choice. The family would like to also extend their gratitude to Athena Homecare and Hospice for their kindness and compassionate care in her final days.

Southington&PlainvilleCitizen|southingtoncitizen.comFriday,January20,2023 A9
Edward P. Kordys
FDI-1867L-A © 2022 EDWARD D. JONES & CO., L.P. ALL RIGHTS RESERVED. AECSPAD
|
Call or visit your local financial advisor today. Compare our CD
Bank-issued, FDIC-insured % APY* % APY* % APY* * Annual Percentage Yield (APY) effective 01/13/2023. CDs offered by Edward Jones are bank-issued and FDIC-insured up to $250,000 (principal and interest accrued but not yet paid) per depositor, per insured depository institution, for each account ownership category. Please visit www.fdic.gov or contact your financial advisor for additional information. Subject to availability and price change. CD values are subject to interest rate risk such that when interest rates rise, the prices of CDs can decrease. If CDs are sold prior to maturity, the investor can lose principal value. FDIC insurance
market value.
permitted. Yields quoted are net of all commissions. CDs require the distribution
CDs offered through Edward Jones are issued by banks and thrifts nationwide. All CDs sold
Edward Jones
the
Trust
(DTC). Tad Graham-Handley Financial Advisor 945 Queen Street Suite 1 Southington, CT 06489 860-276-0222 3-month 4.2% 6-month 4.4% 1-year 4.6% FDI-1867L-A © 2022 EDWARD D. JONES & CO., L.P. ALL RIGHTS RESERVED. AECSPAD > edwardjones.com | Member SIPC Call or visit your local financial advisor today. Compare our CD Rates Bank-issued, FDIC-insured % APY* % APY* % APY*
Annual Percentage Yield (APY) effective 01/13/2023. CDs offered by Edward Jones are bank-issued and FDIC-insured up to $250,000 (principal and interest accrued but not yet paid) per depositor, per insured depository institution, for each account ownership category. Please visit www.fdic.gov or contact your financial advisor for additional information. Subject to availability and price change. CD values are subject to interest rate risk such that when interest rates rise, the prices of CDs can decrease. If CDs are sold prior to maturity, the investor can lose principal value. FDIC insurance does not cover losses in market value. Early withdrawal may not be permitted. Yields quoted are net of all commissions. CDs require the distribution of interest and do not allow interest to compound. CDs offered through Edward Jones are issued by banks and thrifts nationwide. All CDs sold by Edward Jones are registered with the Depository Trust Corp. (DTC). Tad Graham-Handley Financial Advisor 945 Queen Street Suite 1 Southington, CT 06489 860-276-0222 3-month 4.2% 6-month 4.4% 1-year 4.6% FDI-1867L-A © 2022 EDWARD D. JONES & CO., L.P. ALL RIGHTS RESERVED. AECSPAD > edwardjones.com | Call or visit your local financial advisor today. Compare our CD Rates Bank-issued, FDIC-insured % APY* % APY* % * Annual Percentage Yield (APY) effective 01/13/2023. CDs offered by Edward Jones are bank-issued and FDIC-insured up to $250,000 (principal and interest accrued but not yet paid) per depositor, per insured depository institution, for each account ownership category. Please visit www.fdic.gov or contact your financial advisor for additional information. Subject to availability and price change. CD values are subject to interest rate risk such that when interest rates rise, the prices of CDs can decrease. If CDs are sold prior to maturity, the investor can lose principal value. FDIC insurance does not cover losses in market value. Early withdrawal may not be permitted. Yields quoted are net of all commissions. CDs require the distribution of interest and do not allow interest to compound. CDs offered through Edward Jones are issued by banks and thrifts nationwide. All CDs sold by Edward Jones are registered with the Depository Trust Corp. (DTC). Tad Graham-Handley Financial Advisor 945 Queen Street Suite 1 Southington, CT 06489 860-276-0222 3-month 4.2% 6-month 4.4% 1-year 4.6% FDI-1867L-A © 2022 EDWARD D. JONES & CO., L.P. ALL RIGHTS RESERVED. AECSPAD > edwardjones.com | Member SIPC Call or visit your local financial advisor today. Compare our CD Rates Bank-issued, FDIC-insured % APY* % APY* % APY* * Annual Percentage Yield (APY) effective 01/13/2023. CDs offered by Edward Jones are bank-issued and FDIC-insured up to $250,000 (principal and interest accrued but not yet paid) per depositor, per insured depository institution, for each account ownership category. Please visit www.fdic.gov or contact your financial advisor for additional information. Subject to availability and price change. CD values are subject to interest rate risk such that when interest rates rise, the prices of CDs can decrease. If CDs are sold prior to maturity, the investor can lose principal value. FDIC insurance does not cover losses in market value. Early withdrawal may not be permitted. Yields quoted are net of all commissions. CDs require the distribution of interest and do not allow interest to compound. CDs offered through Edward Jones are issued by banks and thrifts nationwide. All CDs sold by Edward Jones are registered with the Depository Trust Corp. (DTC). Tad Graham-Handley Financial Advisor 945 Queen Street Suite 1 Southington, CT 06489 860-276-0222 3-month 4.2% 6-month 4.4% 1-year 4.6% FDI-1867L-A © 2022 EDWARD D. JONES & CO., L.P. ALL RIGHTS RESERVED. AECSPAD > edwardjones.com | Member SIPC Call or visit your local financial advisor today. Compare our CD Rates Bank-issued, FDIC-insured % APY* % APY* % * Annual Percentage Yield (APY) effective 01/13/2023. CDs offered by Edward Jones are bank-issued and FDIC-insured up to $250,000 (principal and interest accrued but not yet paid) per depositor, per insured depository institution, for each account ownership category. Please visit www.fdic.gov or contact your financial advisor for additional information. Subject to availability and price change. CD values are subject to interest rate risk such that when interest rates rise, the prices of CDs can decrease. If CDs are sold prior to maturity, the investor can lose principal value. FDIC insurance does not cover losses in market value. Early withdrawal may not be permitted. Yields quoted are net of all commissions. CDs require the distribution of interest and do not allow interest to compound. CDs offered through Edward Jones are issued by banks and thrifts nationwide. All CDs sold by Edward Jones are registered with the Depository Trust Corp. (DTC). Tad Graham-Handley Financial Advisor 945 Queen Street Suite 1 Southington, CT 06489 860-276-0222 3-month 4.2% 6-month 4.4% 1-year 4.6% FDI-1867L-A © 2022 EDWARD D. JONES & CO., L.P. ALL RIGHTS RESERVED. AECSPAD > edwardjones.com | Member SIPC Call or visit your local financial advisor today. Compare our CD Rates Bank-issued, FDIC-insured % APY* % APY* % APY* * Annual Percentage Yield (APY) effective 01/13/2023. CDs offered by Edward Jones are bank-issued and FDIC-insured up to $250,000 (principal and interest accrued but not yet paid) per depositor, per insured depository institution, for each account ownership category. Please visit www.fdic.gov or contact your financial advisor for additional information. Subject to availability and price change. CD values are subject to interest rate risk such that when interest rates rise, the prices of CDs can decrease. If CDs are sold prior to maturity, the investor can lose principal value. FDIC insurance does not cover losses in market value. Early withdrawal may not be permitted. Yields quoted are net of all commissions. CDs require the distribution of interest and do not allow interest to compound. CDs offered through Edward Jones are issued by banks and thrifts nationwide. All CDs sold by Edward Jones are registered with the Depository Trust Corp. (DTC). Tad Graham-Handley Financial Advisor 945 Queen Street Suite 1 Southington, CT 06489 860-276-0222 3-month 4.2% 6-month 4.4% 1-year 4.6% R258240 Hearing Solutions repairs and batteries. Medicare, HMOs, Medicaid Claims John Diakun, M.S. Audiologist Celebrating over 20 years Hearing Solutions Kensington Hearing Services 211 New Britain Rd. Kensington • (Next to McDonald's) 860-826-6450 Hearing evaluations. Hearing aid fittings, repairs and batteries. Medicare, HMOs, Medicaid Claims
Diakun, M.S. Audiologist
20 years Hearing Solutions Kensington Hearing Services 211 New Britain Rd. Kensington • (Next to McDonald's) 860-826-6450 Hearing evaluations. Hearing aid fittings, repairs and batteries. Medicare, HMOs, Medicaid Claims
> edwardjones.com
Member SIPC
Rates
does not cover losses in
Early withdrawal may not be
of interest and do not allow interest to compound.
by
are registered with
Depository
Corp.
*
John
Celebrating over
Audiologist
20 years R256975 www.kensingtonhearing.com
years 860-748-0541•phoenicianhi.com Experience Our Professional Difference! R256984 Roofing • Siding • Windows Gutters • Doors • Basement Finishing Kitchen & Bath Remodel • Decks Call for a FREE No Pressure Estimate! Fully Licensed & Insured #582443
John Diakun, M.S.
Celebrating over
Celebrating over 30

Adult, continuing education offerings

Press Release

Plainville Adult and Continuing Education will offer evening programming, free of cost, this winter and spring in the following areas: Adult Basic Education (Math and Reading/Writing), Adult High School Credit Diploma Program, Citizenship Preparation, English as a Second Language, and GED Preparation.

Most programs are offered mornings too, with cost-free child care provided by professionals from the Plainville Family Resource Network, at Linden Street School.

Adult enrichment (feebased) programs will be available, too.

Enrichment classes: A Meditator’s Guide to Destress; Bob Ross Painting; Boot Camp for New Dads; Con-

versational Spanish; CT Security Officer License Training with Certification; Empowering You Through the Probate Process; Estate Planning 101; First Impressions/Interviewing; Grammar and English Usage for High School Graduates; How to Meditate: As Simple as ABC; Math for High School Graduates; Mindfulness Meditation; Professional Speaking Skills; Riveting PowerPoint; Scrapbooking 101; Therapeutic Yoga for Healthy Aging; The Heartsaver Program with Certification; Wealth & Women: Unlock Your Potential.

The Program Guide will be mailed to all Plainville residents, early February.

For further information, visit plainvilleschools.org. Plainville Adult and Continuing Education can be reached at 860-793-3209.

Southington&PlainvilleCitizen|southingtoncitizen.com
PROVIDE A SERVICE? Get Found. List it here. R257820v03 VIEW OUR DAILY SPECIALS AT: FACEBOOK.COM/FRIENDSCAFECT 860-426-1020 HOURS: MON–FRI 3PM TILL CLOSING • SAT & SUN 11:30 TILL CLOSING Prime Rib $ 25.95 • Stuffed Shrimp $16.95 Available Friday & Saturday night. Dine in only prices. Add $2 for Takeout Served with salad, baked potato & vegetable. All daily specials dine in only. MONDAY:........................... $10 7 Wings & Coors Light Draft • $2 Pizza Slices TUESDAY: ..................... $9.95 18” Cheese Pizza $ 5 Margaritas WEDNESDAY: ............... Fish & Chips with Coleslaw $9.95 THURSDAY: ................... $ 6 Martini of the Day FRI & SAT: ..................... BAKED STUFFED SHRIMP $16.95 15 North Liberty Street, Southington Sunday Specials DINE IN ONLY LIVE MUSIC $3 Chili dogs or 1/4 lb Hamburger $1 Each Shrimp Cocktail $7 wings Coors • $10 Light draft $5 Bloody Mary or Tall Well Drinks SATURDAY 8:30 – 11:30 TIMMY MAIA Investment products are not insured by the FDIC, NCUA or any federal agency, are not deposits or obligations of, or guaranteed by any financial institution, and involve investment risks including possible loss of principal and fluctuation in value. Certified Financial Planner Board of Standards Inc. owns the certification marks CFP®, CERTIFIED FINANCIAL PLANNER™ and CFP (with plaque design) in the U.S. Ameriprise Financial Services, LLC. Member FINRA and SIPC. © 2022 Ameriprise Financial, Inc. All rights reserved. Jeffrey Jolly, CFP® Financial Advisor | Sr. Vice President Root, Borajkiewicz, Lucarelli Wealth Advisors A private wealth advisory practice of Ameriprise Financial Services, LLC 203.407.8188 x330 250 State St, Unit E-1, North Haven, CT 06473 jeffrey.t.jolly@ampf.com ameripriseadvisors.com/jeffrey.t.jolly Keeping your plans on track when times aren’t. Now more than ever, you need sound advice and strong support to help keep your financial life on track. Ameriprise Financial has been working alongside clients to do just that for over 125 years. I’m here to guide you with developing market updates, investment recommendations and personalized advice to help keep you focused on what matters most to you. Call me today to discuss your goals. R257748v2

Growing YOUR business is OUR business

Joining The Chamber Is Like Giving Your Business A Gift Every Day

Of The Year!

Chamber membership is one of the best investments you can make for your business and employees. It gives you access to a robust offering of professional services, events, and unique benefits to promote your business and market your products and services. It helps connect you with key leaders in your community, and throughout the region and state, and provides you with up-to-date information on laws, news, and industry trends affecting how you do business.

Monthly morning and evening networking programs keep you connected with businesses throughout the area. Chamber exclusive promotions and marketing opportunities keep your business in the forefront for recommendations and referrals. Membership is affordable for any size business. Applications are accepted on a rolling basis throughout the year and are reviewed and approved monthly by the Board of Directors.

CT DECD Commissioner Alexandra Daum Presents the State’s 2023 Economic Outlook to Southington Business Leaders

Business leaders from the greater Southington area gathered this week for the Chamber’s annual economic forecast breakfast held at the Manor Inn.

Keynote Speaker Alexandra Daum, newly appointed commissioner, Connecticut Department of Economic and Community Development, shared her focus to support small businesses, use performance-based incentives to support major employers, initiate programs to cultivate state tourism and the arts, and further develop and support downtown and Main Street areas.

Presenters also included David Rotatori, president, Ion Bank, who provided an overview of trends and resources from a lending and investment perspective; David Gallitto, president, CT Realtors, who presented housing and commercial real estate market trends; and the town of Southington’s Director of Economic Development Louis Perillo, who provided information on Southington’s programs to encourage business support and growth, and an update of development projects in town.

A recording of the presentation is available through southingtonchamber.com.

Southington&PlainvilleCitizen|southingtoncitizen.comFriday,January20,2023 A11
continued
Barbara Coleman-Hekeler Chamber President & CEO
on page 6
A publication of the Greater Southington Chamber of Commerce, Inc. | 860-628-8036 • SouthingtonChamber.com Volume 2, Number 8 January, 2023 INSIDE PAGES: n 2: Nominations Sought for 2023 Achievement Awards n 4: Chamber’s in the Morning Professional Leads & Networking Group n 5: Welcome New Chamber Members! n 6: Get Your FREE Business Listing in the Chamber Business Directory and Community Guide
Keynote speaker Alexandra Daum addresses area business leaders during the Chamber’s Economic Forum.

2023 Nominations OPEN!

Southington Business & Community Achievement Awards

The Greater Southington Business & Community Achievement Awards Program recognizes the dedication, leadership, and valued contributions of greater Southington’s most engaged business professionals and businesses.

Nominations are being accepted for the following 2023 awards:

• Businessperson of the Year Riccio Brothers Award

• Industry Leader of the Year Award

• Veteran Owned Business of the Year Award

• Mat Florian Renaissance Award

• Community Spirit Gail DePaolo Award

• Employ ee of the Year Ann Hauver Award

• Chamb er Member Business of the Year Award

Anyone may submit a nomination.

Chamber News is a publication by

The Greater Southington Chamber of Commerce, Inc. Layout and design by Perfect Type, LLC

31 Liberty Street – Suite 210, Southington, CT 06489

Phone: 860.628.8036 |www.southingtonchamber.com

Email: info@southingtonchamber.com

Facebook: southingtonchamber1 and SouthingtonChamberMembersForum

Instagram: SouthingtonChamberofCommerce

PRESIDENT & CEO: Barbara Coleman-Hekeler

PROGRAMS & EVENTS: Jordan P. Clemens

Individuals, businesses, and groups may be submitted for more than one category. Nominations must be submitted by midnight on February 1, 2023. Winners will be featured in the 2023 Business Directory & Community Guide, and recognized at the Awards Gala on Thursday, June 8, 2023, at the Aqua Turf.

To submit a nomination, visit southingtonchamber.com; select “The Cham-

ber” from the menu bar; click on “Awards Program”; select the award category; complete the requested information; and hit submit. If you need assistance contact the Chamber office at 860.628.8036. Mail in nominations will also be accepted providing they include all requested information. Mail to 31 Liberty Street, Suite 210, Southington, CT 06489.

Nonnie’s Pies & Creations New Location Announced at Mangiafico’s

Southington based entrepreneur Nella Lastrina recently expanded her bakery into the established Mangiafico’s Bakery in Plainville to better accommodate her growth and success in business. Nonnie’s Pies & Creations at Mangiafico’s offers all the same great menu items from her Southington bakery along with all the favorites provided by Mangiafico’s over the years. Stop by Nonnie’s Pies & Creations’ new location in Plainville. The 190 Main Street, Southington location is officially closed.

860.793.9167 | 104 East Main Street, Plainville, CT 06062 | nonniespies.com | nonniespies@gmail.com

OFFICERS:

CHAIRMAN: Susan Urillo Larson / Perfect Type, LLC

VICE CHAIRMAN: Robert Thomson / Thomson Financial Services

PAST CHAIRMAN: Dana Rickard / CompuMail Corp.

TREASURER: Lucia Chubet / Mugford & DiBella, LLC

SECRETARY: Mar yAnn Stanley / Asphalt #1 Paving

DIRECTOR-AT-LARGE: Michael Hartman / Chick-fil-A

LEGAL ADVISOR : Matthew O’Keefe / Jackson & O’Keefe

DIRECTORS:

Courtney Appell / Atlas Preservation

Taylor Deegan / Worldwide Wine & Spirits

Johanna Furgalack / CPA

David

Kaylah

Kevin Moriarty / Rogers Orchards, Inc.

Gilbert Wade / Southington Security Services

CHAMBER NEWS is a monthly publication of the Greater Southington Chamber of Commerce, Inc. Businesses interested in advertising or contributing editorial content should email social@southingtonchamber.com or call the office at 860.628.8036.

ADVERTISING DEADLINE PUBLICATION DATE February 13, 2023 February 24, 2023 March 13, 2023 March 24, 2023

Southington&PlainvilleCitizen|southingtoncitizen.com A12 Friday,January20,2023
« recognizing the dedication, leadership and valued contributions of Greater Southington’s most engaged business professionals »
Girouard / Hospital of Central Connecticut Milligan / Community Foundation of Greater New Britain
2 | SOUTHINGTON CHAMBER NEWS • SouthingtonChamber.com

More Exceptional Care for Women

Right In Your Neighborhood.

Hartford HealthCare is enhancing care in our communities. Our new location at 98 Main St. in Southington focuses primarily on women’s health.

Services include:

Primary Care Tel. 860.827.6080

Surgical Weight Loss Tel. 860.336.7847

Cardiology Tel. 860.972.1695

Medical Weight Loss Tel. 860.336.7847

Obstetrics & Gynecology Tel. 203.269.0885

Behavioral Health Tel. 860.276.3970

Southington&PlainvilleCitizen|southingtoncitizen.comFriday,January20,2023 A13
January, 2023 • SOUTHINGTON CHAMBER NEWS | 3

Join us for Chamber in the Morning:

Southington Professional Leads & Networking Group

Professionals from all industries are invited to participate in the Chamber’s popular monthly networking group. Employees at all position levels who work for a Chamber member business are invited to attend Chamber in the Morning to connect with other professionals and business leaders in the community. CITM is held monthly on the third Wednesday, from 7:45-9:00 a.m. at the Titanium Theatre, 447 N. Main Street, Southington. The next session is on Wednesday, February 15.

Participating in Chamber in the Morning is a great way to promote products and services, exchange ideas, and to establish sound partnerships with fellow members. It also provides a venue to share industry specific resources, expertise, and knowledge; engage in critical dialogue; inspire, motivate, lead, and learn; and help one another in the community. Each participant is given the opportunity to present to the

group, and is invited to register as a spotlight speaker for an upcoming event.

Registration is required for this event must be made online through the events calendar on

the Chamber website at www. southingtonchamber.com. Participation in Chamber in the Morning if FREE for member businesses. Not Yet members may attend as a guest, one per year per company,

for $25 per person, which is applied to their membership should they join in the same month. For additional information call Jordan Clemens, Membership Services & Events Director, at 860.628.8036.

Would You Support Public Transportation in Southington? We

The need for public transit in Southington has been debated for decades. A group of community stakeholders are interested in hearing from residents and businesses as part of a business and residential needs assessment. We invite you to take the survey by scanning the QR code or copying and pasting this url: surveymonkey.com/r/M77RN5Y.

The survey will take approximately three minutes to complete. For questions on the survey or if you do not have access to a computer and would like to take the survey by phone, please contact Jolene Micelli at the Southington Y, 860.426.9589. The results of the survey will be shared with the community once the full needs assessment is complete. Thank you in advance for your participation.

Southington&PlainvilleCitizen|southingtoncitizen.com A14 Friday,January20,2023
want to hear from you!
4| SOUTHINGTON CHAMBER NEWS • SouthingtonChamber.com

Welcome New Chamber Members!

Please join the Southington Chamber Board of Directors in welcoming these new members. Membership information and applications are available by calling the Chamber at 860.628.8036 or visiting southingtonchamber.com

CT Insurance for Seniors

Are you turning 65 soon? We can help you make the right decision regarding Medicare Supplement (Medigap) and Medicare Advantage coverage, prescription drug coverage, and dental and vision insurance. I have been in the insurance business since 1984 and I take great pride in teaching my clients what they need to know to make an informed decision. I am committed to maintaining the highest standards of integrity and professionalism.

860.660.0333 CTInsuranceforSeniors.com PhilWieloch@gmail.com

Freedom Property LLC

Established in 2014, Freedom

Property LLC is a real estate investment company based in Southington, Connecticut.

Freedom Property acquires, redevelops, and manages residential, Multi-Family, and Self-Storage properties throughout New England.

Freedom Property offers hassle-free solutions for property owners looking to sell properties “as-is”, quickly and avoid real estate commissions.  Freedom strives to give customers more options to fit their needs with quality service at a competitive price.

860.876.7653 mangefreedom.com support@managefreedom.com

Lamacchia Realty

Lamacchia Realty is a fullservice, value-based Real Estate brokerage serving Connecticut, Massachusetts, New Hampshire, Rhode Island, Maine, and Florida. We pride ourselves on innovation; we are constantly looking for

ways to improve our company and industry to better serve our clients.

860.426.6886 930 Meriden-Waterbury Turnpike, Suite 2D Plantsville, CT 06479 lamacchiarealty.com southington@lamacchiarealty. com

Logan Flanigan Realtor: William Raveis

So happy to call Southington my hometown! I am a licensed CT real estate agent with William Raveis. It is my mission to put the needs of my clients first. I pride myself for always being positive, innovative and up to date with the housing market. Just remember, I will be here for you every step of the way. 850 Farmington Avenue Farmington, CT 06032 860-515-1356 LoganFlanigan.raveis.com logan.flanigan@raveis.com

Southington&PlainvilleCitizen|southingtoncitizen.comFriday,January20,2023 A15
January, 2023 • SOUTHINGTON CHAMBER NEWS | 5

Our annual full color print and digital publication is a valuable resource for exploring all that greater Southington has to offer whether you are visiting, relocating, or a lifetime resident.

It is filled with information about Southington and its resources including education, healthcare, entertainment and hospitality, arts and culture, recreation and leisure, community events, business networking programs, business and professional services, manufacturing, and more.

It provides access to highly recommended restaurants, bars, breweries, bakeries, coffee houses, specialty shops and retailers, lodging, banquet facilities, farms and orchards, realtors, churches, clubs, community organizations, events, and activities, and much more!

The printed directory is placed in key areas throughout the community including the I-84 rest stop, town hall, new resident packets,

real estate offices, local retailers, coffee shops, tourist attractions, the library, hotels, community organizations, and more.

Businesses that are members in good standing of the Southington Chamber of Commerce are automatically included in the directory under their business category. Member businesses may purchase an advertisement to enhance their listing.

Non-member businesses who wish to be included in the directory may join the Chamber. Membership is affordable for all size businesses and provides a robust return on your investment.

Southington Chamber membership is an investment in your business, your employees, and your community.

The Chamber is an extension of your marketing and business development team!

When your business joins the Southington Chamber your

employees are also members with access to a variety of professional and personal benefits.

To register or update your free listing visit southingtonchamber. com and complete the enrollment form or update the member information form.

Businesses may join the Chamber by requesting an application through info@southingtonchamber.com; by calling Jordan Clemens at 860.628.8036; or paying your membership online at southingtonchamber.com.

Businesses who join by February 15, 2023, will automatically be included for free in the 2023 Greater Southington Business Directory & Community Guide which is produced in print and digital format. All new members receive a free welcome ad in the Chamber E-newsletter, and recognition in the Chamber News, the Chamber’s monthly newspaper with more than 70,000 readers throughout greater Southington and Plainville. Want

to learn more? Call the Chamber office today at 860.628.8036 or email info@southingtonchamber.com and coordinate a personal meeting with our staff so we may learn more about your business and share with you the benefits that best meet your needs. We will also help you learn the best way to maximize your membership. Ready to join now? Visit southingtonchamber.com to pay your membership dues sonline. I look forward to speaking with you.

Southington&PlainvilleCitizen|southingtoncitizen.com A16 Friday,January20,2023
Get Your FREE Business Listing in the 2023 Chamber Business Directory & Community Guide! Don’t Miss the February 17, 2023 Deadline to be Included
Joining the Chamber… from page 1 Get Your Business noticed! advertise in the ChamberSOUTHINGTONof Commerce 2023 CommunityDirectoryBusinessandGuide 31 Liberty Street, Suite 210 | Southington, CT 06489 860-628-8036 social@southingtonchamber.com 6 | SOUTHINGTON CHAMBER NEWS • SouthingtonChamber.com
Southington&PlainvilleCitizen|southingtoncitizen.comFriday,January20,2023 A17 Business PLAN B SOUTHINGTON 20 Spring Street Southington, CT 06489 January, 2023 • SOUTHINGTON CHAMBER NEWS | 7

Chamber Women’s Leadership Network Supports Professional and Personal Development

The Southington Chamber Women’s Leadership Network is a dynamic forum designed to help its members enrich their personal and professional lives, and to be a positive influence in the community. This group offers insight and educational programs, coordinates several ‘Chamber Community Care’ initiatives, and hosts the annual Chamber Holiday Sip & Shop which showcases area businesses

and vendors. Participants in this group build meaningful relationships through collaboration and supporting one another in achieving success. The group is lead by Chamber members professionals and Chaired by MaryAnn Stanley,

President Asphalt#1 Paving and Realtor for Century21 AllPoints Realty. The Women’s Leadership Network is open to employees of Chamber member businesses including all staff positions

from entry level to top leadership and owners. Individuals wishing to join the Southington Chamber WLN may email info@southingtonchamber.com or call the office at 860.628.8036. The group meets the second and fourth Thursday of the month from 8:30-9:30 a.m. at the Chamber offices, 31 Liberty Street, Suite 210. You do not need to attend all meetings to be a part of this group.

We Are Growing The Chamber Team – Apply Today!

Looking to be part of a team that works with every industry, group, and leader in the community? Do you like an interesting and fast paced environment where you can show off all your skills and learn new ones? Are you someone with the tenacity to succeed and grow professionally? The Southington Chamber of Commerce believes you may be a great asset to its employee team. We are hiring

for the position of Office Assistant. Qualified candidates will possess excellent verbal and written communication skills in person and on the phone; be

attentive to detail and accuracy; be computer literate in multiple programs; be well organized; and able to transition quickly between projects, events

and tasks. This is a full-time position Monday through Friday with a flexible work schedule to accommodate occasional special events.

To be considered for the position forward cv to info@southingtonchamber.com, subject line: Office Assistant Position – Applying Within, or fax 860.276.9696 (by February 1, 2023).

Southington&PlainvilleCitizen|southingtoncitizen.com A18 Friday,January20,2023
8 | SOUTHINGTON CHAMBER NEWS • southingtonchamber.com

Legislators expect to focus on children’s mental health issues

Mental health support for kids may be a theme in committees that deal with children’s issues this session, a continuation of the work legislators started last session with the passage of three sweeping bills focused on children’s mental health.

Both the education and children’s committees plan to focus on mental health, as well as other issues, including more support for educators and preventing sex crimes against children, committee leadership and advocates said.

“I cannot imagine a time when children’s mental health will not be a focus,” said Rep. Liz Linehan, a Democrat from Cheshire and co-chair of the Committee on Children. “We’re going to focus entirely on helping kids grow into happy, productive members of society.”

The continued focus on mental health comes as many youths across the country are dealing with heightened anxiety, depression, eating disorders and substance abuse.

Isolation and disruptions to routine during the pandemic exacerbated many existing mental health issues for children, and in 2021 the U.S. Surgeon General issued an advisory on a national youth mental health crisis.

A December 2022 report from the Task Force to Study Comprehensive Needs of Children in the State also discussed the need for more mental health care for people of all ages, including more support for kids who experience trauma and more places where people can access health care.

Lawmakers called mental health the defining issue of last session, and the conversation is expanding beyond students, as legislators plan to emphasize educators themselves and how to curb the onset of stress and burnout and address a teaching shortage that heightened throughout the COVID-19 pandemic.

“We can’t do any of the work in education unless we have the teachers in the classroom, ” said Rep. Kathleen McCarty, a Waterford Republican who serves as a ranking member on the Education Committee.

See Health, A24

Southington&PlainvilleCitizen|southingtoncitizen.comFriday,January20,2023 A19
~ QUAILTY BATHROOMS SINCE 1963 ~ CONSTRUCTION SERVICES, LLC Bathrooms since 1963 summaconstructionservices.com “Our customer$ come before the dollar sign” Family owned for 57 years NO CHARGE IN-HOME ESTIMATES LIC P-1-0204630 INSURED R254569 FREE IN-HOME ESTIMATE CALL TODAY 860-628-0073 Replace your old shower or tub Call for Low Prices TOUR OUR STATE OF THE ART AUTOMATED WAREHOUSE USE CAMERA TO SCAN QR CODE AND RSVP FOR THE EVENT HIRING FOR MAINTENANCE TECHNICIANS & SALARIED LEADERSHIP POSITIONS HIRING OPEN HOUSE 24 NORTHWEST DRIVE PLAINVILLE, CT 06062 FEBRUARY 1st, 2023 4:00pm - 7:00pm

portation costs for food triple items that they use every week, making it a compounding expense that it’s difficult to keep up with. He’s unwilling to change the restaurant’s prices to make up for the difference, saying it’s unreasonable to expect customers to pay $25 for a chicken parmesan dinner with ongoing economic issues impacting people across the board.

Another major issue is the oversaturation of corporate businesses in Southington, the restaurant staff said. They laid the closure of Zingarella on the Southington Planning and Zoning Commission for letting too many corporate chains into the area, not spacing out businesses, and ultimately allowing them to cannibalize the market and push out local restaurants.

Within a mile radius of Zingarella there are 10 other pizza places offering delivery, a service Zingarella

doesn’t have, in exchange for a more intimate dining experience that Zommer thought was lacking from other eateries in the area.

“It’s about competition. There are so many chain restaurants in Southington, let alone pizza restaurants,” said Kelsey Yount, a manager who’s been with Zingarella for seven years. “In a mile radius, there’s 10 pizza places you can go and get a pizza delivered and then you don’t deliver. You know, we believe in like coming in and having that intimate setting. It is a family restaurant.”

Local investors have offered money to keep the restaurant open, Zommer said, but after putting $1.7 million into the eatery he is looking to leave the food industry and return to managing his other company, Waste Material Trucking Co., full time.

“It really stings to have to close the restaurant, because I put my life savings into it. It

Basement Waterproofing Services Over 36 Years combined experience. Fully Transferable Written Guarantee*, Sump Pumps, Pumps Eliminated in most homes. Deal Direct with owner - no middle man. French Drains, Gravity Drains, Landscaping Drainage, Gutter Downspout Drains New Bulkheads, Egress and Basement Windows, Basement Finishing

just didn’t work out,” Zommer said. “So it’s going to hurt Plantsville I’m sure, but you know, the restaurant landscape in Southington does not favor sole proprietorships. Just look at Queen Street, it’s just loaded with corporate chains, and it’s hard to compete … it’s a losing proposition. And I’ve been losing money for a few years. I figured I can’t do it anymore. ”

“I believe the town of Southington is partly to blame, because of the number of food permits and restaurants they allow into the town. It doesn’t help restaurants, at all,” he added.

Basement Waterproofing Services

The restaurant has been a prominent feature in Plantsville, sitting on the corner of West Main and Summer streets, and a focal point of major seasonal events Halloween and Christmas in the Village.

Over 36 Years combined experience. Fully Transferable Written Guarantee*, Sump Pumps, Pumps Eliminated in most homes. Deal Direct with owner - no middle man. French Drains, Gravity Drains, Landscaping Drainage, Gutter Downspout Drains New Bulkheads, Egress and Basement Windows, Basement Finishing

Barbara Coleman-Hekeler, president of the Southington Chamber of Commerce, laments the loss of Zingarella and what it means for Plantsville, being such an iconic anchor business in that section of town and s indicative of the continuing struggles of the

See Zingarella, A25

Southington&PlainvilleCitizen|southingtoncitizen.com A20 Friday,January20,2023
From A3 Zingarella
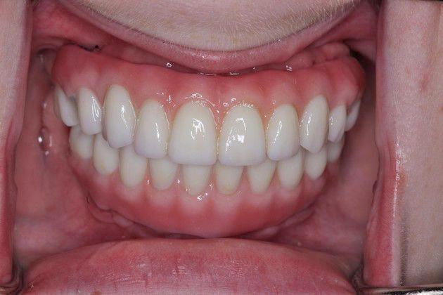
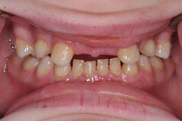
Call today for a FREE consultation 860-829-9048 Change your life. Don’t suffer from the discomfort and embarrassment of bad teeth. Dental Implants, the best way to permanently fix bad teeth From a chipped tooth repair to a whole new smile Helping patients with their smiles for over 25 years. A custom made smile you will be proud of. Our implants will stand up to the wear and tear of everyday life. Dr. Mike Maroon (DMD, FACE, FAGD) BEFORE AFTER Personalized & Comfortable Advanced Dental BERLIN: 39 Webster Square Rd • CROMWELL: 26 Shunpike Rd, Ste A advanceddental.com | Open 6 days a week from 7am-7pm R258019 SUDOKU R255305 v3 Brilliant Basement Waterproofing, LLC Basement Waterproofing Services • Over 36 Years Combined Experience. Fully Transferable Written Guarantee*, Sump Pumps, Pumps Eliminated in Most Homes. Deal Direct With Owner - No Middle Man, Crawl Spaces HIC. 0653192 • CALL US 860-598-8091 D801038_V3 Brilliant Basement Waterproofing, LLC www.brilliantbasementwaterproofing.com
The patio at Zingarella Pizzeria & Ice Cream Cafe. Record-Journal, file photo
FREE
*written details available upon request HIC. 0653192 • CALL US 860-598-8091 D801038_V3 Brilliant Basement Waterproofing, LLC www.brilliantbasementwaterproofing.com
Estimates
written* details available upon request
• CALL US 860-598-8091 * written details available upon request R257754 www.brilliantbasementwaterproofing.com
FREE Estimates
HIC. 0653192

GRACE MIK LYMAN HALL BASKETBALL

This school year is proving to be the Year of the Freshman. A number of area teams across a number of sports feature rookie standouts. Include Lyman Hall girls basketball in the conversation. The Trojans have a 1-2 frosh punch in Grace Mik and Ellie Madancy. Miss Mik gets the nomination here for her team-high average of 10.4 points a game, fed by a season-high 20 vs. Maloney.

ANTWANETTE TANN PLATT BASKETBALL

While the freshman phenoms have shined, so have certain upperclassmen, such as Antwanette Tann of Platt. The 5-foot-10 frontcourt force is the area’s leading scorer in girls basketball with an average of 20.0 points a game. Tann hit for 31 on Thursday against Bristol Eastern. She also grabbed 19 rebounds that night. It was all part of a 69-point stretch of three games for the senior.

KIARIANA WILLIAMS MALONEY TRACK

February is usually the month when indoor track records come tumbling down. That’s when the area’s best hit their stride and rise to the occasion of conference and state championships. Kiariana Williams, though, has already gotten busy. The sophomore lowered the Maloney girls record in the 55 meters from 7.79 seconds to 7.78 placing 5th Wednesday at the James Barber Invitational.

COLIN BROWN CHESHIRE TRACK

When it comes to authoring track records, Cheshire senior Colin Brown is like James Patterson. He just keeps pumping ’em out. Connecticut’s reigning sprint champion broke his own school record as well as the meet record when he ran a 6.42 to win the boys 55 meters at last Wednesday’s James Barber Invitational. Brown also won the 300 meters that afternoon in 37.60 seconds.

MORRISON BECK WILCOX TECH

The Wildcats are doing their best to make do without injured senior Griffin Neilander, one of their top scorers. At the vanguard is Morrison Beck. The junior sharp-shooter is filling the breach with 17.0 points a game. Launched by a 35-point outing against Vinal Tech on Monday, a performance that featured eight 3-pointers, Beck delivered 71 points and 17 treys in three games last week.

MAX FESTA SHEEHAN HOCKEY

After setting Sheehan’s rookie scoring record last year, Max Festa wasn’t going to catch any opponent by surprise this season. Everyone knows No. 5. Not that it’s helped in keeping him contained. Festa went into Monday’s game with Lyman Hall with 20 goals, 11 assists and a state-high four hat tricks, including a pair of 4-goal outings. The sophomore had 9 points Wednesday vs. North Branford.

VISIT MYRECORDJOURNAL.COM/ATHLETES TO VOTE FOR YOUR FAVORITE NOMINEES! 254832 VOTE AND WIN! Vote for your favorite AOTW and automatically be entered for our year end $500 drawing! One lucky person will be randomly selected as our $500 winner. A single vote gets you entered, vote every week to earn more chances to win! WIN $500! GO ONLINE AND VOTE. CHECK BACK NEXT WEEK TO SEE WHO YOU VOTED THE ATHLETES OF THE WEEK! Winners will be posted here as well as your next group of nominees. WWW. MYRECORDJOURNAL.COM/ ATHLETES

From

“I do think it is a fairness and equity issue. With (Tax Management Associates) you can see, are they being accurate?” DePaolo said.

No vote taken

The council took no action on the matter Monday night.

Town Council Chairwoman Victoria Triano, a Republican, said the issue warranted further investigation and discussion.

“We all have to go back to our caucuses, ” she said.

“There’s a lot of concerns about this, concerns for our businesses. At the same time, yes, it could be a source of income for the town,.”

Mark Lajoie, the Republican Town Committee Chairman and Board of Fire Commissioners chairman, spoke during the Jan. 9 meeting in opposition to a town-wide audit.

“I’m not convinced initiating something like this is in the best interests of the small businesses in our town or the taxpayers,” he said.

Republicans hold a majority on the council.

Southington&PlainvilleCitizen|southingtoncitizen.com A22 Friday,January20,2023
Audit RECYCLE YOUR OLD NEWSPAPERS Please & Thank you. R255304 v3 Are you the Cutest Couple? Submit your photo as the Cutest Couple now through February 1st! brought to you by myrecordjournal.com/couple Readers’ Choice Awards BEST DENTIST AWARDS 258185
A2

Local ski slopes grapple with a warmer winter

Rain and higher-than-average temperatures have made for a challenging start to the local skiing and snowboarding season.

Mount Southington and Powder Ridge have recently had to close for several days to let the snow settle before layering fresh snow on the hills.

Powder Ridge in Middlefield had to close its tubing lanes entirely due to the conditions being too wet to keep them properly maintained.

Confidence remains high, however, as both hills have been seeing high attendance.

Local snowfall totals have been reported just over seven inches so far this season, which 50% lower than average, according to Gary Lessor, a meteorologist at

Western Connecticut State University. Despite the low number, it’s still three inches above the 2021 winter season.

Temperatures have been higher than average this season, reaching into the 50s on New Year’s Day, with

several rainy days recorded so far in January.

Both hills have been able to keep the snow on their slopes due to the low evening temperatures, though the persistent rain remains a complication.

“It just hasn’t been conducive this time of year, typically every single night those guns are going from sunset to sunrise. And that hasn’t been the case, ” said Lessor, who lives near Mount Southington. “Going forward, we do expect over the next couple

of weeks, temperatures still continue to be above normal, which will somewhat hamper the ability to make snow. But it does appear as though temperatures at night will be cold enough for them to make snow. But skiing conditions could be dramatically improving as we go through the next week, despite above-normal temperatures.”

One of the biggest problems hampering conditions, owners say, is the fog keeping the moisture locked close to the ground and causing the temperature to rise, melting the snow at twice the normal rate.

“Mother Nature’s not making it easy for us this year,” said Sean Hayes, owner of Powder Ridge. “Normally, our snowmaking capability with the new technology, the new guns, etc., we can blanket this mountain in

Southington&PlainvilleCitizen|southingtoncitizen.comFriday,January20,2023 A23
AtlookatPowderRidgehillsearlierthismonth. Aaron Flaum, Record-Journal
1-855-795-3280 Dental50Plus.com/Record Product not available in all states. Contact us to see the coverage and offer available in your state. Contact us for complete details about this insurance solicitation including costs and limitations. This specific offer is not available in CO. Call 1-800-969-4781 or respond for a similar offer. In WV: To find a provider in the network visit us at https://www.physiciansmutual.com/web/dental/find-dentist. Certificate C250A (ID: C250E); Insurance Policy P150; Rider Kinds B438/B439. In CA, CO, ID, KY, ME, MD, MA, MI, MO, NV, NJ, NC, ND, VA: Includes Participating Providers and Preventive Benefits Rider. Certificate C254/B465 (PA: C254PA); Insurance Policy P154/B469 (GA: P154GA; OK: P154OK; TN: P154TN). It doesn’t matter what dentist you see, we can help pay the bill. Get dental insurance from Physicians Mutual Insurance Company. 6323 DENTAL Insurance Get help paying big dental bills Get your FREE Information Kit • No deductible, no annual maximum • Preventive care starts right away • See any dentist — save more if you stay in network R258229v2
See Winter, A24

Health

From

“We know that in this past pandemic, we really put an awful lot of new responsibilities on our teachers to look at the social, emotional and academic restorative practices,” McCarty said. “There were more and more responsibilities put on the teachers, and they went through an awful lot of stress and anxiety trying to meet these needs.”

In a joint press conference on Jan. 10 lawmakers and members of the Connecticut Education Association discussed the importance of making education a more attractive profession, which begins with allocating funds to raise salaries and provide better retirement options in hopes of diversifying the field, they said.

“Specifically in those communities of color [students] are seeing their teachers stressed to the max with everything they’re

asked to do,” said Rep. Jeff Currey, Education Committee co-chair and a Democrat from East Hartford. “So why, in any world, would they want to do that? … It just makes absolutely no sense. So, if we can get the additional resources to alleviate some of their pressure, hopefully we’ll see additional folks want to try to get into that profession.”

Likewise, several members of the CEA advocated that although financial investment is a priority, so is providing in-class solutions, including offering more prep time to educators, reducing class sizes and offering mentorship opportunities to young teachers. “We have an opportunity to be creative and to make positive, and proactive, changes to education,” CEA Vice President Joslyn DeLancey said. “This is an investment that goes down to supporting kids’ needs.”

While many committees started the session with organizational meetings that

contained few action items, the legislative Committee on Children kicked off the Jan. 10 session by voting to work on nearly 20 measures with details to be filled in as the session progresses. Ideas and details in the bills will go through the public hearing process, Linehan said.

Republicans on the committee objected to that method of passing bills, saying they didn’t have enough details to vote on an idea.

“I think that we do need to be a little bit more frugal with what we are doing in terms of cost and effectiveness, ” said Rep. Anne Dauphinais, a Republican from Killingly and a ranking member on the Children’s Committee.

Children’s Committee leadership plans to tackle issues ranging from licensure of municipal summer camps to the safe storage of cannabis to the creation of a state police sting operation unit focused on the online sexual abuse of minors.

Winter

From A23

three to four days pretty heavily. We just didn’t get ahead of it enough in that one-week cold snap, to get a base down where we would survive the winter.”

The sentiments were echoed at Mount Southington. “We don’t get as much natural snowfall as I remember when I was a kid,” Marketing Manager Brian McCloskey said. “This definitely has been a warmer season, there’s no secret there. But we’re still able to maintain and make do with the weather that we get. Obviously, we would prefer that Mother Nature throw us some more colder days. But you know, we just we’ve learned to roll with the punches.”

Despite the challenges attendance at both mountains is up, with Mount Southington selling more season passes this year

than over the past three since the pandemic. They’re also continuously seeing busy weekends and large school groups with high school racing having returned this season.

The local community has also come out in force to support Powder Ridge. Between their Mountain Room and other facilities, the park notes that they have more to offer outside of their hillside activities.

“These past couple of weeks have been very difficult for us,” Hayes said.

“But even last night, the conditions weren’t great, but it is about the community coming out. And I gotta tell you, I was absolutely amazed last night looking at this mountain. The first school groups came out, the community parents came out and spent the time indoors, dining and being a community. It was a fantastic outing, even though the conditions weren’t great. It’s about coming together as a community.”

Southington&PlainvilleCitizen|southingtoncitizen.com A24 Friday,January20,2023
A19
(888) 514-8879 R258230v2

Zingarella

From

food industry well after the pandemic.

“They’ve been such strong chamber and community supporters. Their proximity right in the center of downtown Plantsville and on the linear path is absolutely a key location. They have an incredible restaurant with a quality menu and have always provided quality service” said Hekeler. “It’s unfortunate to see any business close, particularly those that are so front and center, I think it’s pretty much indicative of the time that we’re in terms of the struggle for Connecticut businesses. ”

Zingarella expects the community to be upset with the announcement of their closure and encourages residents to come out and pay Zingarella a visit before their closure at the end of the business day on the 14thwith all gift cards remaining valid until that time.

Many of the staff as well have been with the restaurant for years and are saddened by the closure. Yount, after starting at the business as a server seven years ago, said he will leave the food service industry after Zingarella closes.

“We have families that have been coming since their babies have been in strollers that are now you know, teenagers. I know that the community will be very upset. I mean, it’s just a great place to go like to get a pizza or to get pasta or to get a cocktail or to get an ice cream. You get the best of both worlds when you go there,” said Yount. “So I think that the people will be very upset, especially the kids. I’ve been we’re doing Halloween and Christmas in the Village and it’s my favorite time of the year just to see all the kids come down. I’m definitely going to miss it.”

Zommer opened the business 11 years ago after the closure of the previous

restaurant in the space, which also served pizza. He saw that at the time there was a lack of pizza restaurants, and wanted to give residents a nice, inexpensive dining experience like before takeout pizza became popular. Despite having no prior experience in the restaurant industry, he bought the property and hired DiDomenico as his chef the Italian immigrant bringing an authentic flair to the menu.

Despite having to close the restaurant, Zommer looks back on the experience fondly.

“There’s been some wins and some losses. There’s been a lot of heartache, but a lot of great relationships have come from it. And although it cost life savings, I don’t regret one minute of it,” Zommer recalled.

Despite the loss of Zingarella, Zommer hopes to leave something in its place that will add to the community. Currently, he’s in talks with other prospective business owners who are looking to open up another restaurant in the building. Exactly what kind of restaurant or who will own it is yet to be determined.

Adelphia Café

476 Washington Avenue North Haven, CT 06473 203-535-0149

Family owned/operated. Former proprietors of the Neptune Diner in Wallingford. Extensive menu for all tastes. Breakfasts, luncheons and special dinners. All baking on premises.

Colony Diner 611 N Colony Road Wallingford, CT 06492 (203) 269-9507 colonydiner.com Wallingford’s place to go for oldfashioned breakfast, lunch, and dinner. Proudly serving up delicious and hearty meals daily. Voted Best Diner 4 years running by Record Journal. Open seven days. Breakfast served all day.

Southington&PlainvilleCitizen|southingtoncitizen.comFriday,January20,2023 A25
A20
Welcome to On The Menu. Let us help you find the perfect place to eat. Whether it’s a celebration, date night, or just grabbing a bite to eat, this list of local restaurants is sure to satisfy your taste buds.
great local eats - MenusCT.com
Find
Athena II Diner 320 Washington Ave, North Haven, CT 06473 203.239.0663 www.athena2diner.com Open 24 hours a day 7 days a week. Serving breakfast, lunch, & dinner. Accept Q Cards. Serving North Haven for 30 years. Daily specials and full liquor available.
ATTENTION: RESTAURANT OWNERS! To advertise your restaurant to 269,000 weekly readers Call us 203-317-2312 In order to continue delivery
your home or business, we
us
HELP US HELP YOU, CONTINUE RECEIVING “YOUR” LOCAL WEEKLY. 257948 Coming to your home or business HELP KEEP francispaquetpainting@gmail.com Plantsville, CT 06479 CT Reg. #611818 860-877-5146 Ceiling/Wall Repairs Painting (Interior, Limited Exterior) Taping Small Jobs Welcome Francis Paquet PAINTING Over 20 Years of Experience Call Now for a FREE ESTIMATE 257794 MEDIA THAT MOVES YOUR BUSINESS FORWARD >> To advertise, contact Rebekah Larsen at (203) 317-2302 rlarsen@rjmediagroup.com SERVICE DIRECTORY
to
need to have each resident or business let
know that, by filling out our on-line requester form at myrecordjournal. com/southington-plainville-requester Or, you can call us at 203-634-3933 and we can mail you a postage paid postcard to fill out and return. Without the necessary requester information, delivery of your Southington & Plainville Citizen to your home or business, will end.

LEGAL NOTICE

PLANNING AND ZONING COMMISSION PLAINVILLE, CONNECTICUT

On January 10, 2023, the Plainville Planning and Zoning Commission took the following actions:

APPROVED a Site Plan Application for Three on Whiting Street, LLC to construct a 5,100 square foot industrial building at 141 Whiting Street, rear in a GI Zone

Respectfully submitted, Matthew Weimer, Secretary, Plainville Planning and Zoning Commission. Dated at Plainville, CT this 11th day of January, 2022.

R258241

LEGAL NOTICE TOWN OF PLAINVILLE ZONING BOARD OF APPEALS

The Plainville Zoning Board of Appeals conducted Public Hearing(s) and other action(s) on Monday January 9, 2023, and rendered the following decision(s):

1.Application #23-01-01, Xtreme Auto LLC of 16 Forestville Avenue approved a request for an Automobile Repair License(s) as required by Section 14-54 of the Connecticut General Statues for property located at 16 Forestville Avenue with stipulations.

Dated at Plainville, Connecticut this 12th day of January Peter Autunno, Chairperson Plainville Zoning Board of Appeals R258261

1977 GRAND PRIX LJ - Needs a little body work, $1,200 o.b.o. (203) 626-9041.

2013 FORD TAURUS97,000 miles, excellent condition, $9,000. Call (860) 840-5199.

LICENSED CDL DRIVER

FT or PT. Driving and shop work at Meriden, CT location. PTO, 401k, Health Ins. Call 203-235-4830.

MATERIALS DISTRIBUTION

ALWAYS PAYING TOP DOLLAR - For gold and silver jewelry, Sterling flatware, Gold and silver coins and bars, costume jewelry and more!!! Over 30yrs experience. Call Sandy at Pawn Queen (203) 7682443.

TOP CASH PAID For any Toyota any condition, running or not, crashed okay. Will take other makes and models. (203) 600-4431.

TOP CASH PAID

For Junk or unwanted vehicles, Toyota’s etc. Please call Mike @ 203284-8562 8am-5pm.

Screened Topsoil $25/ per yd; Sand-$18 per yd; Millings-$22 per yd; Screened Millings $30 per yd; $100 minimum delivery. No pickup truck service. Minimum 16 yd pickup at our yard. Call Jim @ 860-982-4819 for delivery

PREMIUM SCREENED TOPSOIL

$25/yard delivered, 3 yd, $100 min. delivery Call Jim 860-982-4819

ALWAYS TOP CASHFor Grandma’s Costume Jewelry Stash! Not a Pawn shop. 203.443.9602, Julie.

ANTIQUES - Always buying old; Toys, military, jewelry, art, watches, musical instruments, signs, arcade games, cameras, pre 1970 sports memorabilia, plus more. One item or entire estate contents. Call 860718-5132.

ANTIQUES WANTEDComic books, toys, adv. signs, military items, motorcyles, mini bikes, etc. All items considered, appraisal & estate sale services, incl. clean-outs. 40 years exp. Call or text, Gary at 203-237-4124.

CLERK III

In the Wallingford Public Schools, performs a wide variety of clerical duties requiring excellent computer and interpersonal skills. This position requires 1 year of office work experience and a H.S. diploma. Wages: $19.42 to $25.85 hourly plus an excellent fringe benefit package.

Apply: Department of Human Resources, Town of Wallingford 45 South Main Street, Room 301, Wallingford, CT 06492.

Applications will be mailed upon request from the Department of Human Resources or may be downloaded from the Department of Human Resources Web Page. Phone: (203) 294-2080 Fax: (203) 294-2084. The closing date will be that date the 50th application form/resume is received or January 25, 2023 whichever occurs first. EOE

SCHOOL BUS DRIVERS

Needed for Southington/ Meriden/Berlin/Rocky Hill - Must be 21yrs or older and possess a driver’s license for at least 3yrs – Paid training to acquire CDL license and endorsements available –The opportunity to bring your children to work, No Childcare$$ - Contact Sheila at New Britain Transportation (860) 8280511 ext. 221 or visit us at, 257 Woodlawn Rd., Berlin, CT

SHEET METAL MECHANICS & HELPERS

Full time, apprenticeship program offered, health insurance, 401(k) plan. Pay range $20 - $30/hour. Call 860-828-3762.

WELDER/ FABRICATOR

Custom sheet metal fabrication, light structural, 45-50 hour per week with good benefits, health insurance, and 401(k) plan. Pay range $25 - $35/hour. Call 860-828-3762.

TREE LENGTH FIREWOOD CALL FOR DETAILS 203-238-2149

203-4941695.

BUYING ALL - Costume Jewelry, Old Watches, Gold Jewelry, Silver Jewelry, Gold & Silver Coins, Sterling Flatware, In Any Condition. Please Call Jude M. Dichele @ (203) 8681816.

GRASSY HILL AUCTIONS, - an Estate Sale, Liquidation, Attic & Basement Cleanout Company is Always Buying and providing services all over Connecticut. These are just a FEW of the things we are looking for: Antiques, Collectibles, Old/ Vintage Toys, Musical Instruments (Saxophones, Trumpets, Violins, Flutes, Clarinets, Trombone & SO MUCH MORE) Advertising Items, Wristwatches (Broken or Not), Pocket Watches, Tools (Machinist, Woodworking, & MORE) Doorstops, Clocks, Oil Paintings, Old Signs, Old Photographs, Old Postcards, Brewery Items, Hunting & Fishing, PEZ Dispensers, Costume Jewelry, Broken Jewelry, Gold & Silver Jewelry, Gold & Silver Coins, Military Items, Swords & Bayonets, Helmets & Patches, Medals & Uniforms, Pocket Knives, Lighters & Pipes, Fountain Pens, Mechanical Pencils, Fraternal Order Items, Religious Items, Industrial Items, Winchester Items, Sikorsky Items, Pratt & Whitney Items, Colt Items, Native American Items, Vintage Electronics, Slot Cars, Toy Trucks, Matchbox & Hotwheels, Barbie’s, Folk Art, Statues, Bronzes, Trains, Cameras, Mid Century Modern Furniture, Straight Razors, Shaving Items, Political Items, Comic Books, Sports Cards & Autographs…& THE LIST GOES ON! So please give us a call at your earliest convenience.

Grassy Hill Auctions 203-868-1816 - Grassy HillAuctions.com

LOOKING TO

860-707-9350

Southington&PlainvilleCitizen|southingtoncitizen.com A26 Friday,January20,2023
248314 Need to Earn Income ASAP? Earn up to $1,200 mo. + Tips! The perfect and easiest part time job - Newspaper Delivery Routes Available - Earn up to $600.00 every Two weeks +Tips (Depending on area) Routes available in the following towns: MERIDEN, WALLINGFORD, SOUTHINGTON/ PLANTSVILLE, CHESHIRE AND MIDDLETOWN Must be 18 or older. Must have valid drivers license, reliable vehicle and be available early mornings. Make extra cash before you go to work making early morning newspaper deliveries using your own vehicle. NO experience necessary. Must able to deliver early mornings, 7 days a week. MUST be dependable, and be able to read a route list with specific delivery instructions. We will demonstrate the route to you. Routes average 1.5 to 3 hours daily. No collections required. Not Temp Work. Retirees, Stay at Home Mom’s, and Veterans are also welcome to apply. Make extra cash to pay rent, mortgage, bills, save money, or a great vacation. Text or call Peter at 860-846-0216 from 9 a.m. to 6 p.m. and start as soon as tomorrow morning.
ALWAYS BUYING CASH PAIDVintage Electronics, Musical Instruments, Amps, Ham Equipment, HiFi, Radios, CB, Guitars, Audio Equipment, Antiques.
R255299 v3 BUYING MACHINIST TOOLBOXES - Tools & tooling, contents of machine shops, home workshops and small lathes. Call anytime 860-985-5760
SUDOKU ANSWER CROSSWORD ANSWER
BUY
Holiday print fabric.
8012.
-
Please call Carla at (203) 514-
1,2,3 CASH FOR ANTIQUES - Call Todd Shamock,
OFFICE
Looking for a friend? Find litters of critters in Classifieds. Wanted To Buy Help Wanted Help Wanted Wanted To Buy Help Wanted Lawn and Garden Wood Fuel Heating Equipment Wanted To Buy Legal Notices Automobiles Autos Wanted Reach over 310,000 readers. Call us today 203-238-1953 Legal Notices & Classifieds RJ MEDIA GROUP | Record-Journal | myrecordjournal.com | HOMEBASE Digital | Berlin Citizen | Cheshire Citizen | North Haven Citizen | Plainville Citizen | Southington Citizen | Town Times | The Post
ASSISTANT FT or PT (M-F 9 -3:30). Some bookkeeping exp. req. Attention to detail and reliability a must. PTO, 401k & Health Ins. Call 203.235.4830.

PREMIER ESTATE JEWELRY - Is interested in buying your fine jewelry, watches, coin collections, silver flatware, and costume jewelry. Call Bill, (203) 4942496.

CARPENTRY

HOME DOCTOR - 48 yrs exp. Odd jobs & remodeling, former US Navy, 15 yrs, #640689, 203.427.7828. IF

RT RELOCATION

Southington&PlainvilleCitizen|southingtoncitizen.comFriday,January20,2023 A27
Clean-Ups Brush,
Appl’s, Furniture,
Debris,
WE
item
YOU Mention This Ad FALL Yard
branches, leaves, storm damage **JUNK REMOVAL**
Junk,
etc
CAN REMOVE ANYTHING Entire house to 1
removed! FREE ESTIMATES Sr. Citizen Discount LIC & INS. DUMPSTER RENTALS 203-535-9817
Specializing in tree removal, trimming, chipping & grinding. Call for free estimate. 203-945-1808.
GUTTERS PLUS 25+yrs. Exp. Call today for Free estimate. 203-440-3535 Ct. Reg. #578887
Roof Repair or Replacement, Chimney Repair, Skylight Replacement. Free est. CT #0651199 (860) 877-3006
Furniture, appliances, entire contents of: homes, sheds, estates, attics, basements, garages & more.
Clean-ups*
Repairs, Decks & Porches, Sheetrock & Taping Water Damage Repairs. Free Est. Ins. MC & Visa. Call Bill (203) 901-2136. CT. Reg. # 0647093 CLEAN & REMOVE
*FALL YARD
FREE ESTIMATES. LIC & INS. DUMPSTER RENTALS 203-535-9817
CALL CONSUMER CELLULAR © 2023 Consumer Cellular Inc. Terms and Conditions subject to change. New service activation on approved credit. Cellular service is not available in all areas and is subject to system limitations. Enjoy $25 o your first month! Customers who sign up before April 15, 2023 get up to $25 o their first invoice. This o er is for new and existing customers, and can be redeemed only at an account level, line levels excluded. This o er is good for $25 o the first invoice, and any remaining credit from o er is forfeited if not used during this period. If account becomes inactive for any reason prior to receiving the full amount, any remaining credits will be forfeited. Customer must use a printed promo code to redeem o er. This o er is not stackable with other promotions, see website or store associate for details. O er not redeemable for cash, has no cash value and is not transferable or refundable. 833-956-2814 Off First Month of New Service! USE PROMO CODE: GZ59O R258303 TIMELESS
ESTATE
purchase estate contents.
single items
Clean-out services available. Call Bill (203) 494-2496. Let Us BEAR Your Junk! Junk Removal in CT GUTTERS CLEANED Painting Int. & Ext. Powerwashing Free Ests. Ins. Refs. Rodrigo, (203) 565-7745. Insurance claim.storm damage.roofing.siding. gutter.chimney flashing. Office:203.754.3071 Cell:203.510.3830 Stormshieldct@gmail. com HIC.0664452 TEC ELECTRICAL Service LLC All Phases of Electrical Work. 24 hr. Emergency Service. Small Jobs Welcome. 203.237.2122 WANTED Individual firearms, collections & estates including military & related items.Federally licensed firearms dealer. Gunsmith, appraisals, Richard Pleines, (860) 663-2214. STUFF TO SELL? Call Us. 203-238-1953 Whether it is a lost ring, wallet or a Parrot named Oliver, a Classified ad can help track it down. Whether it is a lost ring, wallet or a Parrot named Oliver, a Classified ad can help track it down. GO MOBILE /Classifieds RECYCLE YOUR OLD NEWSPAPERS Please & Thank you. GROW YOUR BUSINESS Advertise with us. 203-317-2312 Businesses & Services 203-238-1953 Get Listed. Get Calls. Get Results. Carpentry Tree Services Roofing Electrical Services Roofing Gutters Landscaping Handyperson Moving and Storage Junk Removal Wanted To Buy Junk Removal
Your moving and storage specialists. Call for a free estimate. 833-668-3978.
TREASURES
AUCTIONSIs looking to
From
to entire estates.

Classes at Connecticut’s Community College Start in January

The spring semester starts January 20 for Connecticut’s community colleges. The 12 college locations, spread across the state, offer a full menu of credit-bearing courses, both online and on campus. Students can earn up to four credits per class and can attend either full-time or part-time. And unlike at many four-year colleges and universities, students can begin their college career during the spring semester, and do not have to wait until fall.

Registration is now open for spring classes and students can apply online at ct.edu/admission. There is no application fee, and all students are encouraged to submit an application for financial aid (fafsa.gov), even if they do not believe they will qualify.

Once accepted, students can make an appointment with a Guided Pathways Advisor for one-on-one assistance in planning a course of study, creating a schedule and laying out a timeline that will meet their educational goals. Advisors are also available to work with students who plan to transfer after graduation to earn a bachelor’s degree.

New Student Orientation also offers important tips for success and navigating each campus. The Connecti-

cut State College and Universities (CSCU) Transfer Tickets and a price match scholarship with Charter Oak State College both ensure that Connecticut residents can earn the most affordable bachelor’s degree available to them.

Non-credit career programs will also start up in the spring at the community colleges. Certificates in IT and computer technology, allied health and manufacturing are just a few of the areas of study that can prepare students for a career while contributing to the workforce needs of the state.

Connecticut’s 12 community colleges are merging on July 1, 2023 to become CT State Community College. Students will benefit from one college transcript and catalog, standardized financial aid and the ability to take courses at any campus without transferring.. As part of the consolidation, students continuing their studies beyond Summer 2023 can expect to be matched with the CT State program that most closely aligns with their Spring 2023 major. In all cases, the colleges are committed to students completing their education with minimal disruption.

Click here for more information: ct.edu/admission

Las clases en en las Universidades Comunitarias en Connecticut comienzan en enero

El semestre de primavera para las universidades comunitarias de Connecticut comienza el 20 de enero. Las 12 localidades, alrededor del estado, ofrecen un menú completo de cursos con créditos en línea y en persona. Los estudiantes pueden obtener hasta cuatro créditos por clase y pueden asistir a tiempo completo o parcial. Y a diferencia de muchos colegios y universidades de cuatro años, los estudiantes pueden comenzar su carrera universitaria durante el semestre de primavera, y no tienen que esperar hasta el otoño. La registración está abierta para las clases de primavera y los estudiantes pueden aplicar en línea en ct.edu/admission. No hay costo de aplicación, y se aconseja que todo estudiante entregue una aplicación para ayuda financiera (fafsa.gov), aunque no piense que es elegible. Una vez que sean aceptados, los estudiantes pueden programar una cita con un consejero (Guided Pathways Advisor) para asistencia directa para planificar su curso de estudio, la creación de su lista de clases, y el plazo de tiempo apropiado para cumplir sus metas educativas. Los consejeros también están disponibles para trabajar con los estudiantes que planifican trasladarse después de la graduación, para completar su licenciatura.

La Orientación para Nuevos Estudiantes también ofrece información importante para ser exitoso y para navegar cada campus. Los Boletos de Traslado para los Colegios y las

Universidades Estatales de Connecticut (CSCU) y una beca de pagos correspondientes con Charter Oak State College, aseguran que los residentes de Connecticut tengan la licenciatura más económica disponible para ellos.

Los programas de carreras que no otorgan créditos también comenzarán en la primavera en las universidades comunitarias. Certificados en TI y tecnología en computadora, auxiliar sanitario y manufactura son algunas de las áreas de estudio que pueden preparar a los estudiantes para una carrera mientras contribuyen a las necesidades de la fuerza laboral estatal.

Las 12 universidades se unirán el 1 de julio de 2023, cuando se volverán en CT State Community College. Los estudiantes disfrutarán de los beneficios de registros y catálogos unificados, paquetes de ayuda financiera, y la habilidad de tomar cursos en cualquier campus sin trasladarse. Como parte de la consolidación, los estudiantes que continúen sus estudios después del verano de 2023 serán emparejados con el programa de CT State que se adapte más cercanamente a su especialidad de la primavera de 2023. En todos los casos, las universidades se comprometen a ayudar a los estudiantes a completar su educación con mínima interrupción.

Haga clic aquí para mas información: ct.edu/admission.

Southington&PlainvilleCitizen|southingtoncitizen.com A28 Friday,January20,2023
SPONSORED CONTENT Twelve campuses, one great education. The People’s College More Classes More Flexibility In-Person & Online Easy Transfer, One Transcript 253325

Turn static files into dynamic content formats.

Create a flipbook
Issuu converts static files into: digital portfolios, online yearbooks, online catalogs, digital photo albums and more. Sign up and create your flipbook.
The Southington | Plainville Citizen by Record Journal - Issuu