Berlin Citizen - May 25, 2023

Page 1

BERLIN HIGH SCHOOL

Honoring those who didn’t return from war

More than 1.2 million Americans have been killed during war time, with some 600,000 of those casualties coming in our bloody Civil War.

The number of Americans lost in battle also includes 405,399 in World War II, 90,220 in Vietnam and nearly 7,000 in the ongoing War on Terror.

On Memorial Day, Monday, May 29, we remember the men and women who did not return from war; Americans who made the ultimate sacrifice. The

Cyclists participate in the first annual ‘Chase’s Ride’

The sun was shining, and it was windy, but that didn’t stop over 70 cyclists who came out of Berlin High School on Sunday, May 21,

to participate in the first annual “Chase’s Ride.”

The ride was held in honor of Chase Anderson, a 15year-old who was killed while riding a bicycle near the Mobile gas station at

2005 Berlin Turnpike when his bike and a motor vehicle collided early Saturday morning.

According to Chase’s mom, Lynn Swanson, the vehicle’s

Joseph Campbell quote “A hero is someone who has given his or her life to something bigger than oneself” comes to mind.

Decades after Memorial Day was declared a national holiday, in 2000, the National Moment of Remembrance was established by Congress. Wherever Americans are at 3 p.m., local time, on Memorial Day, we are asked to pause in an act of national unity for a duration of one minute.

According to a DepartSee Memorial, A24

Lanteri, Munch at the head of the BHS class

In a recent social media post, Berlin High School announced that Michael Lanteri is the Class of 2023’s valedictorian and Laura Munch is salutatorian. The post states:

Michael has challenged himself academically during his high school tenure. He has been named an AP Scholar with Distinction, a

CAS Scholar Leader, earned the RIT Computing Medal and Excellence in AP Computer Science Award, and achieved high honors status throughout his four years at Berlin High. He is a member of the National Honor Society and Coding Club, is a house leader in the Upbeat See BHS, A23

Volume 25, Number 21 Thursday, May25, 2023 www.berlincitizen.com
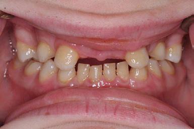
See Chase, A3 Personalized & Comfortable Advanced Dental BERLIN: 39 Webster Square Rd CROMWELL: 26 Shunpike Rd, Ste A advanceddental.com | Open 6 days a week from 7am-7pm Call today today for a consultation 860-829-9048 Change your life. Don’t suffer from the discomfort and embarrassment of bad teeth. BEFORE AFTER Helping patients with their smiles for over 25 years. A custom made smile you will be proud of. Our implants will stand up to the wear and tear of everyday life. Dr.
Maroon
Dental Implants, the best way to permanently fix bad teeth From a chipped tooth repair to a whole new smile
Cyclists are excited for take-off at the first annual “Chase’s Ride.” The ride was held in honor of Chase Anderson, a 15-year-old who was killed while riding a bicycle near the Mobilegasstationat2005BerlinTurnpike. Nicole Zappone, Record-Journal
Mike
(DMD, FACE, FAGD)

Memorial Day Parade and Ceremony slated for Monday

Press release

This year’s Memorial Day Parade will start at 9 a.m. Monday, May 29, at St. Paul’s Church on Peck Street, Kensington. There will be a flyover by the Connecticut Air National Guard during the parade.

The parade route will go down Farmington Avenue turning left onto Massirio Drive, passing the Berlin Veterans of Foreign Wars Post 10732, then a left onto Veterans Way and end at the Berlin Veterans Memorial Park, where a Memorial Day

Ceremony will take place between 9:45 and 10:05 a.m.

There will be an Invocation by Clifford P. Cote, a veteran of the U.S. Air Force. Father Joseph Benicewicz, from St. Paul’s Church, will do the benediction. The Berlin High School Madrigal Singers, directed by Tyler Boyle, will sing the “National Anthem” and “America the Beautiful.”

The Berlin High School Saxophone Quartet will play an “Armed Forces Medley,” directed by Christopher Dresko.

There will be a rifle volley by the joint members of Veterans of Foreign Wars, Post 10732, and members of the American Legion Post 68, followed by Taps played by Berlin High School trumpeters Evan Paone and Peyton Miller.

This year’s guest speaker is Matt McNally, chief of police of the Berlin Police Department.

In the event of rain, the Memorial Day Ceremony will be held at the Veterans of Foreign Wars, Post 10732, 152 Massirio Drive at 9 a.m.

A message about gun safety

Dear parents and guardians,

Given the incidents that have been happening across the country as well as in neighboring towns, the Board of Education and I believe this letter may be helpful in reminding all of us about gun safety.

Keeping children safe is everyone’s responsibility. As parents, we want to make sure that our children are never in the home of a friend or relative where a gun is not properly secured.

The recommended safety experts, including the ATF, recommend storing all

Safer falls

If you are aware of the inevitability of a fall, you can at least prepare properly. Join this virtual class Wednesday, May 31, 10 to 11 a.m. Presented by Mitchell Nyser, exercise physiologist, Hartford HealthCare,

firearms locked and unloaded, with ammunition also locked in a secure location away from the firearms. Our vigilance when it comes to gun storage will help our students stay safe.

Hiding firearms is not enough. Children often know where their parents’ guns are kept and cannot always tell the difference between real and toy guns. In Connecticut, firearms must be securely stored if:

1. A minor under the age of 18 living in or visiting the home is likely to gain access to the firearm without the permission of the child’s

Senior Health

GoodLife Fitness, the class will teach how to fall the correct way – forwards or backwards – and all the details on how to do it safely to reduce the risk or lessen the severity of injury. Call 1-855442-4373 or go to HartfordHealthCare.org/VirtualClasses.

parent;

2. If a resident in the home is ineligible to possess a firearm; or

3. If a resident poses a risk of imminent harm to self and others.

Our goal is to prevent further incidents from occurring and to continue to provide our students and staff a safe school environment by ensuring that ammunition and firearms are safely secured in all households.

Sincerely,

Call-in support

Looking for a safe space? Every Friday, 2 to 3 p.m., talk to a professional about questions and concerns you may have regarding dementia. Call 1-646-876-9923 (Meeting ID 92408181873#).

TheBerlinCitizen | theberlincitizen.com A2 Thursday, May25, 2023
www.SchmittLandscapingandTree.com Tree Removal Landscaping Stump Grinding Firewood Fully Licensed & Insured HIC 0649404 @SchmittTreeService R261254 & Landscaping FREE Estimates (860) 922-7738 Repair Services • Hot Water Heaters Heating Systems • Gas Fireplaces & Piping Home Improvement & Remodeling Drain & Sewer Cleaning 860-948-0510 P.O. Box 311231 • Newington, CT 204827-P1 • 5155-SM1 • 39764-S3 • HIC #0625232 R256970 R259777v2 ASPHALT MAINTENANCE PAVING CONTRACTORS • DRIVEWAYS • PARKING LOTS • DRAINAGE • TREE CUTTING & REMOVAL • ALL TYPES OF CONCRETE WORK • BLUE STONE, PATIOS & WALKWAYS FULLY INSURED Licensed Contractor Commercial & Residential FREE ESTIMATES • 7 days a week CT Lic. #579594 (860) 632-9062 SENIOR DISCOUNT ASPHALT MAINTENANCE www.ampavingct.com PAVING CONTRACTORS DRIVEWAYS • PARKING LOTS • DRAINAGE ALL TYPES OF CONCRETE WORK • BLUE STONE, PATIOS & WALKWAYS FULLY INSURED Licensed Contractor Commercial & Residential FREE ESTIMATES • 7 Days a Week 860-632-PAVE (7283) SENIOR VETERAN& DISCOUNT R259535 Executive VP & Publisher — Liz White Notarangelo News Editor — Nick Carroll News reporter — Nicole Zappone Interim Editor — Eric Cotton Vice President of Advertising — Jim Mizener Vice President & Creative Director — Erik Allison ADVERTISING: Glenn Tierney — Marketing Consultant 203-903-7716 | gtierney@rjmediagroup.com NEWS / SPORTS: (203) 317-2245 | news@theberlincitizen.com www.berlincitizen.com 500 S. Broad St., Meriden, CT 06450 The Berlin Citizen (ISSN 1525-1780, USPS 017-666) is published weekly by Record-Journal, 500 S. Broad Street, Meriden, CT 06450. Periodicals postage paid at Meriden, CT and at additional mailing offices. POSTMASTER: send address changes to: Record-Journal 500 S. Broad Street, Meriden, CT 06450 Circulation Department — 203-634-3933

driver had been drunk. Anderson would have been a sophomore at the high school that coming fall.

The ride on Sunday morning began at 11 a.m. at Berlin High School, followed by a police escort to Dairy Queen and then back to the high school.

“We initially had about 50 riders who signed up ahead of time,” Swanson said. “We plan on doing this annually, and this is our first one, so we’re seeing where we can work out the kinks for next time.”

About 20 more signed up on the morning of the race.

Swanson said she was delighted with the turnout and hopes to continue with the ride each year.

The ride was about a few miles, and adults and children of all ages participated.

All event proceeds went to The Chase Anderson Memorial Scholarship, initiated by the Berlin High School RISE program, as that program, along with Unified Sports, was truly his passion.

All riders participating that day were eligible for a $1 cone at Dairy Queen. While the ride was free, a donation of $5 was suggested to help raise funds for the scholarship.

Nicole Carrasquillo, who is in charge of the RISE program at the high school, said that Chase’s mom and aunt had asked her about doing it.

“We had many more riders than we anticipated considering we had a two-week notice,” Carrasquillo said.

Swanson said that she was very thankful for all the businesses in the town who donated items for the raffles.

Vacation Bible School

Wellspring Church, 222 Lincoln St., Kensington, will have a Summer VBS for children ages 4-12 on July 17-20 from 6:30 p.m. to 9 p.m. Doors open at 6 p.m. for checkin. This will be an exciting time of games, crafts, and activities. Snacks will be provided. Cost is $10/kid or $20 for 2 or more kids. Please register at www.wellspring.net by June 18.

“The donations were amazing, and I want to thank everyone for their generosity,” Swanson said.

Some raffle donations came from Dynasty Jewelers, Suburban Sports, Sage Energy, The Ave, and more. A resident donated gym bags with sport team designs, while Timberlin Golf Course donated a golf club.

nzappone@record-journal.com 203-317-2212

TheBerlinCitizen | theberlincitizen.com Thursday, May25, 2023 A3
From A1 Chase
Organizers Leah Carbonell, Jen Mimaio, Johnnathan Cruz, Glenn Anderson, Mckenna Anderson, Lynn Swanson, Nicole Carrasquillo, and Jim Arnold of the “Chase’s Ride,” pose for a photo just before the start of the ride. Nicole Zappone, Record-Journal
R261609 Providing highly-skilled, compassionate, affordable Dental Care to the Berlin, New Britain, Plainville and Southington communities for over 30 years.
256918 300 New Britain Rd • Berlin, CT 06037 860-609-6167 • KatzFamilyDentalCare.com Most Insurances Accepted Welcoming New Patients! SPECIALIZING IN IMPLANTS & INVISALIGN COMFORTABLE DENTISTRY HOURS: Mon.-Thur. 9am-5pm, Friday 9am-1pm 89 Harding St., Berlin, CT 860-829-7377 KENSINGTON AUTO SERVICE LTD. Most cars & like trucks, Ask for Details! Over 35 Years of Experience as Your Hometown Repair Shop! WE’RE HERE TO HELP! R258168v2 BEST O F... 20 21 AWARDS • Full Service & Repairs, Diagnostics & Accessories • 12 Month/12K Mile Warranty • CT State Emissions Testing & Repair kensingtonautoserviceltd.com R261436
Michael

Saint Paul School drama club performs ‘The Wizard of Oz, Jr.’

Saint Paul School families and friends followed the yellow brick road to see their students’ second annual drama production early this month.

Last year’s show “Frozen, Jr.” was a big hit! This year, the students and families were happy to see the program continue, showcasing the talent that has been emerg-

ing from our school community.

“Saint Paul School’s drama students showed off their talents again in the production of ‘The Wizard of Oz, Jr.’ on May 5 and May 6 at Berlin High School. Nearly 600 people were in attendance at the weekend shows. The director and choreography team of CCSU

theater students Cassidy Phelps and Aaron Peterson, as well as St. Paul Catholic High School Senior Maddie McAuliffe, stage manager, worked with 55 cast and crew, ranging from preschool through eighth grade.

An integral part of the production team was music teacher Janet Hampton, and school parents Pamela Miscia-Carlson and Patti Bourque, along with BHS siblings and SPS alumni Charlie (lighting and sound) and Ellie Henriques (backstage tech). The number of students involved in the dra-

ma program doubled this year and highlighted the young talent at Saint Paul’s.

We thank Berlin High for allowing us the use of their beautiful auditorium.” commented Mrs. Conaway, school principal.

We are truly blessed to have

the support from our school community to help make this program such a success!

For more information on Saint Paul School please contact Kelly Esposito, Admissions and Marketing Director at 860-828-4343 ext. 113 or admissions@ stpaulkensington.org.

TheBerlinCitizen | theberlincitizen.com A4 Thursday, May25, 2023
R261562 PAUL’S MASONRY Stonewalls, Patios, Chimneys, Fireplaces, Sidewalks, Concrete, Retaining Walls, Pool Patios, Brick Works, New and Repairs We Service the Best • Years of Experience For Free Estimates call 203-706-9281 or visit paulsmasonry.net ALL TYPES OF MASONRY WORK Ct Licensed & Fully Insured HIC# 0635508 THANK YOU FOR ALL YOUR VOTES FOR OUR DAD FOR BEST MASONRY AGAIN THIS YEAR! ENFIELD 355 TAYLOR ROAD 4 miles off I-91 / Exit 47E, 1 mile N. on Taylor Rd. CROMWELL 610 MAIN STREET Just 4 miles South of I-91 / Exit 24 Garden’s Dream Farm YOU DREAM IT, WE GROW IT! OPEN 7 DAYS A WEEK 9am-5pm | 860.835.6652 | Look us up on Facebook CT’s Largest Retail Nursery Over 3000 Varieties 1000S OF FRUIT AND ORNAMENTAL TREES! Come visit and see our amazing selection. a $30 Purchase* *$30 or Higher. Limit one per customer per day CIT_5-25-23 NOT combinable with other offers. NOT valid on Gift Cards or Prior Purchases. Valid Thru 6-30-23 with this ad. Garden’s Dream Farm 2023 $5 Off Premium 4’’ $5.49 or 10/$50 10’’ Hanging Baskets $24.99 2/$45 1 Gal Perennials $8.99 5/$40 Annual Packs $2.79 8/$20 1000s of Shrubs & Trees Vegetables and Herbs! 100K Perennials! • OVER 20 YEARS EXPERIENCE • FREE DOOR TO DOOR SERVICE • ALL YOUR AUTOMOTIVE NEEDS UNDER ONE ROOF • WE WORK ON FOREIGN & DOMESTIC VEHICLES 116 MAIN STREET • KENSINGTON, CT • 860-828-1155 Mon–Fri 8AM–6PM, Sat 8AM–Noon 10% SENIOR CITIZEN DISCOUNT RICH’S CITGO III R256939v5 FAIL YOUR EMISSIONS TEST? We can diagnose your problem ELECTRONIC TUNE-UP $3995 $4995 $5995 4 CYL 6 CYL 8 CYL ENGINE SCAN TEST $2995 $2995 Does not include repair work. One coupon per customer. With coupon only. Expires 6/30/23. Includes plugs & full inspection. Parts extra. One coupon per customer. With coupon only. Expires 6/30/23 Most cars. With coupon only. Expires 6/30/23. OIL CHANGE, LUBE, & FILTER $2100 Includes free 21 Point Inspection. With coupon only. $20.00 for tire rotation. Expires 6/30/23. *synthetic oil priced higher AIR CONDITIONING SPECIAL $ 8999 Included Up to 2 lbs., check for leaks, evalute and recharge system. With coupon only. Expires 6/30/23.

Marines sought

The Marine Corps League, Hardware City Detachment, New Britain CT is actively looking for new members. You do not have to live in New Britain to be a member.

The Hardware City Detachment regularly supports local veterans and their families in need, and participates in many local celebrations and remembrances.

The Hardware City Detachment meets the first Wednesday of the month, 6:30 p.m., at the Berlin VFW, 152 Massirio Drive.

For more information, contact Sal V. Sena Sr. (860-6146188, 4mermarine69@ gmail.com) or Al Urso (860747-0677, alurso@cox.net).

Berlin Democrats

The Berlin Democratic Town Committee can be reached at berlindemocrats@ gmail.com or via P.O. Box 93, 62 Kensington Road, Berlin, CT 06037.

Berlin GOP

Registered Berlin Republicans: Do you want to make a

difference in your community?

The Berlin Republican Town Committee is looking for volunteers to serve on local boards, commissions and in elected offices.

If interested, send an email to info@berlingop.org.

Craft show

The Berlin VFW’s fourth annual craft show is scheduled for Saturday, June 3, 10 a.m. to 2 p.m., at 152 Massirio Drive. (Rain date: Sunday, June 4). More than 85 crafters have signed on.

The VFW will be selling picnic food and gourmet popcorn, with proceeds going to

scholarships for high school seniors and to veterans in need.

Preservation CT

Preservation Connecticut is a statewide nonprofit historic preservation organization, established in 1975 by a Special Act of the Connecticut General Assembly as the Connecticut Trust for Historic Preservation.

For over four decades, Preservation Connecticut has championed the protection of community assets all over the state.

For more information, visit preservationct.org.

How to Prepare for a Smooth Home Closing

Are you in the process of selling your home or thinking about selling? There are certain steps in the process that have to be navigated to ensure you reach the closing table.

Disclosing Issues: When selling your home, you will fill out a home disclosure statement. This includes things like the age of the roof and water heater, any major repairs or additions, and more serious concerns like asbestos and lead paint.

Deadlines: There are deadlines to respond to offers and for completing home inspections and appraisals. To ensure a smooth process, stay organized and stay in contact with your agent.

Indecision: As a seller, it is common to want to wait and see if a better offer gets presented. Be mindful of your timeline and do not let indecisiveness cost you your best offer.

Appraisals: If the buyers are seeking financing, the mortgage lender will require an appraisal to ensure it is worth the amount that the bank is lending. A low appraisal means the buyer will have to produce the difference, a new offer must be negotiated, or the offer may fall apart.

Getting to the closing table of a home sale is not always easy. Rely on the advice of trusted professionals, including the lawyer who will handle the closing

TheBerlinCitizen | theberlincitizen.com Thursday, May25, 2023 A5
In Brief Lic. # PLM.0287294-P1 and Reg. # HIC.0648888 Like us on Facebook JASON BORSELLE 860.748.7910 R256971v3 $319 Hose Bib Special Honest. Professional. Reliable. Kensington, CT • JMBPlumbingCT.com (8-10 inch with shut off valve replacement only) May not be combined with any other offer. Offer subject to change or elimination. Residential only. Exp. May 31, 2023
Read the complete article online at esmlaw.com or scan the QR code here. Atty. Stephen L. Mangan (860) 229-0369 256981v2 Eye Exams • Glasses • Contacts Now Accepting Pediatric Patients! Only the best designers at reasonable prices. Call to schedule an eye exam or to get fitted for contact lenses. Most insurances accepted. 32 Chamberlain Hwy, Kensington, CT 860.829.9090 Time to come see us! Up to 30% off Prescription Sunglasses! ROGERS TREE SERVICE Call Dave Cyr (860) 828-9953 CT Lic# S-4240 R256972 BOSCO PAINTING Aluminum Siding Refinishing • Power Washing We also do Carpentry Repairs! CALL TOM TODAY! 860-828-7710 860-306-7927 “Exteriors are my specialty, and interiors my masterpiece!” CT
259498v3
LIC #543233 FULLY INSURED FREE ESTIMATES

Caregiver support

Do you care for someone diagnosed with dementia? This virtual support group meets the second Wednesday of the month, 6:30 to 8

Senior Health

p.m. The group is facilitated by Patty O’Brian, CDP, dementia specialist, Hartford HealthCare Center for Healthy Aging. Call 1-855442-4373 or go to Hartford-

HealthCare.org/VirtualClasses.

Hybrid support group

Join this dementia caregiver support group the third

Monday of the month from 1 to 2:30 p.m. in-person or online. Facilitated by a Hartford HealthCare Center for Healthy Aging Dementia Specialist. Call 1-855-442-

4373 or go to HartfordHealthCare.org/VirtualClasses. The in-person meeting will take place at Berlin-Peck Memorial Library, 234 Kensington Road, Berlin.

TheBerlinCitizen | theberlincitizen.com A6 Thursday, May25, 2023

Phillip F. Perretta Phillip F. Perretta

KENSINGTON - Dorothy June (Tyler) Breski, of Kensington, died peacefully at Chestelm Health and Rehab, in Moodus, on Friday, May 12, 2023.

WETHERSFIELDPhillip F. Perretta, 80, of Wethersfield, died after a short illness on Wednesday, May 17, 2023.

Dorothy was born in Bristol, CT, on June 26, 1926, the daughter of Harry Collins Tyler and Ethel (Peace) Tyler. Before her retirement in 1985, Dottie was employed by AT&T (SNET) for 38 years. She was predeceased by her husband, Jacob Breski and her brother Bernard Tyler. She was also predeceased by her longtime best friend, Albert C Pollard. Dottie is survived by several nieces and her (almost) step daughters Catherine Pollard of Middlefield and Lois Foley of Portland.

Obituaries

WETHERSFIELD Phillip F. Perretta, 80,of Wethersfield,diedafterashortillness onWednesday, May17, 2023.

Phil leavesbehind hiswife of 30years CarolSitler, his sisterEmily Perrettaandher partner Nancy, his son, Curt Perretta and his wife Kathy, his grandsonBrandon Perretta andhis fiancéPooja Nair,and hisgranddaughter

Phil leaves behind his wife of 30 years Carol Sitler, his sister Emily Perretta and her partner Nancy, his son, Curt Perretta and his wife Kathy, his grandson

Brandon Perretta and his fiancé Pooja Nair, and his granddaughter Alyssa Nelson and her husband

Ron and his greatgrandson (AKA the little guy) Connor, his daughter

Heather Wichrowski and her husband Al, his granddaughters Raven Green and her husband

Dottie was a woman of many talents including, knitting, crocheting, growing roses, raising dogs, decorating Christmas cookies, planning trips to the casino and traveling with the Model A Club. She had a keen wit and a stubbornness that kept all who knew her on their toes.

Branden and his greatgranddaughter Gemma, and his granddaughter

Alyssa Nelsonand herhusbandRon andhisgreatgrandson (AKAthe littleguy) Connor, his daughter Heather Wichrowski and her husbandAl,hisgranddaughters Raven Green and her husbandBranden andhis greatgranddaughter Gemma, and his granddaughter Brittany Nance. Phil also leaves behind his daughterin-law Lorie Perretta and hisgrandchildrenShanePerretta and hiswife Amelia, his greatgrandsons Giovanni and Jacob, his granddaughter Amber Perretta and his great-granddaughter Liliana,

his grandsonNick Perretta and hiswife Victoriaand his greatgrandchildren Noah and Leah andhis grandson Dylan Perretta. Phil also leaves behind his stepchildrenKyle Sitler,MartySitler, Brian Sitler and his wife Liz, and ChrisSitler andhis wife Briana, aswell asgrandchildren Aidan,Ethan, Brittany, Jessica, Killian,and Kayla Sitler.

Brittany Nance. Phil also leaves behind his daughterin-law Lorie Perretta and his grandchildren

Shane Perretta and his wife Amelia, his greatgrandsons Giovanni and Jacob, his granddaughter

Calling hours were from 6 pm to 8 pm on Tuesday, May 23rd at the EricksonHansen Funeral Home of Berlin, 111 Chamberlain Highway, Kensington. Burial service was private. Donations may be made in Dottie’s name to the Berlin Senior Center, 33 Colonial Drive, Berlin. Please share a memory of Dorothy in the online guest book @ www. ericksonhansenberlin.com

Amber Perretta and his great-granddaughter

Liliana, his grandson

Nick Perretta and his wife

Victoria and his greatgrandchildren Noah and Leah and his grandson

Dylan Perretta. Phil also leaves behind his stepchildren Kyle Sitler, Marty Sitler, Brian Sitler and his wife Liz, and Chris Sitler and his wife Briana, as well as grandchildren

Aidan, Ethan, Brittany, Jessica, Killian, and Kayla Sitler.

Phil was predeceased by his parents, Phil and Lena, at a young age, and also

Ken,who raisedhim astheir ownafterthedeathofhisparents. Philwas alsopredeceased by his son Damien Perretta.

Phil retiredfrom New Britain CandyCo., wherehe enjoyed along careeras an account rep. Inthat role, he gottoknowcountlesscorporatepurchasingagents,merchants,and smallbusiness ownersin theGreaterHartford area. In his early retirement, he enjoyed working parttimeat PuritanFurniture inWethersfield.

Phil was raised in Berlin, CTandgraduatedfromBerlin HighSchoolin theClassof 1961.Hewasafour-yearvarsity athletein bothfootball and basketball.He wascaptain of the football team his senioryear,whenhereceived theBabeRuthAwardforbest

athleteinthe class.In2020, Phil “Fudgy”Perretta was inducted into The Berlin High SchoolAthleticHallofFame.

Hearing Solutions

Hearing Solutions

corporate purchasing agents, merchants, and small business owners in the Greater Hartford area. In his early retirement, he enjoyed working parttime at Puritan Furniture in Wethersfield.

Phil’s interestin athleticsbegan in1954 asa pitcheron the Cubs with Berlin Little League. That year, the team went 7-1and wonthe town championship. Perretta later competedin theAlumni LeagueandtheHartfordTwilightLeague.Heenjoyedcollecting sports memorabilia, fine dining,and traveling. One of his fondest memories was when hedined with Jesse Owens, one of the greatestathletesofalltime. Funeralserviceswillbeprivate. In lieu of flowers please make adonation inPhil’s name tothe BerlinHigh School AthleticDepartment, 139 Patterson Way, Berlin, CT06037

Philwas predeceasedby his parents, Philand Lena, at ayoungage, andalsohis brotherJimmyandbyhislovingaunts ConnieAustinand her husband Al, and Ann Gormley andher husband

Phil was raised in Berlin, CT and graduated from Berlin High School in the Class of 1961. He was a four-year varsity athlete in both football and basketball. He was captain of the football team his senior year, when he received the Babe Ruth Award for best athlete in the class. In 2020, Phil “Fudgy” Perretta was inducted into The Berlin High School Athletic Hall of Fame. Phil’s interest in athletics began in 1954 as a pitcher on the Cubs with Berlin Little League. That year, the team went 7-1 and won the town championship. Perretta later competed in the Alumni League and the Hartford Twilight League. He enjoyed collecting sports memorabilia, fine dining, and traveling. One

Hearing Solutions

Celebrating over 30 years

Hearing evaluations. Hearing aid fittings, repairs and batteries. Medicare, HMOs, Medicaid Claims

Hearing evaluations. Hearing aid fittings, repairs and batteries. Medicare, HMOs, Medicaid Claims

Hearing evaluations. Hearing aid fittings, repairs and batteries. Medicare,

TheBerlinCitizen | theberlincitizen.com Thursday, May25, 2023 A7
Since 1867 We Are Proud To Be Your Local News and Advertising Source SUDOKU R256093 v4 ROGERS TREE SERVICE Call Dave Cyr (860) 828-9953 CT Lic# S-4240 R256973 R256985
Kensington Hearing Services 211 New Britain Rd. Kensington • (Next to McDonald's) 860-826-6450
John Diakun, M.S. Audiologist Celebrating over 20 years
HMOs, Medicaid Claims
Kensington Hearing Services 211 New Britain Rd. Kensington • (Next to McDonald's)
860-826-6450
John Diakun, M.S. Audiologist
Celebrating over 20 years
Rd.
Kensington Hearing Services 211 New Britain
Kensington • (Next to McDonald's) 860-826-6450
John Diakun, M.S. Audiologist
R256975 www.kensingtonhearing.com
1279090 Carolyn Smith, Owner James Casso, Director “Caring Service with a Gentle Hand” 96 MAIN STREET Phone (860) 828-4730 Kensington, CT 06037www.BerlinMemorial.netFAX (860) 829-6509 Berlin Memorial FUNERAL HOME INC. 1279090 Carolyn Smith, Owner James Casso, Director “Caring Service with a Gentle Hand” 96 MAIN STREET Phone (860) 828-4730 Kensington, CT 06037www.BerlinMemorial.netFAX (860) 829-6509 Berlin Memorial FUNERAL HOME INC. 1279090 Carolyn Smith, Owner James Casso, Director “Caring Service with a Gentle Hand” 96 MAIN STREET Phone (860) 828-4730 Kensington, CT 06037www.BerlinMemorial.netFAX (860) 829-6509 Berlin Memorial FUNERAL HOME INC. 247357 www.BerlinMemorialFuneralHome.com Funerals • Cremations • Title 19 Family Owned & Operated
Celebrating over 20 years

Thank

EAT LOCAL - WIN LOCAL SPONSORS

Thank you for your generosity in supporting the

Baseball tournament dedicated to fallen

Bristol police officer

Citizen report

The 2023 CIAC state baseball tournament will be dedicated to Bristol police Lieutenant Dustin DeMonte, who was killed in the line of duty in the fall of 2022.

Each year, the CIAC dedicates its baseball state tournament in honor of an individual closely connected to high school baseball in the state.

DeMonte settled in North Haven, but came of age in Middletown.

He was a catcher and pitcher on the Middletown High School baseball team, graduating MHS in 2005.

A writeup on the CIAC website states, “Coaches and friends recall Dustin as a quiet leader, who led by example.”

DeMonte’s uniform number in high school was 51, and the Middletown High baseball team honored the former player this season by wearing No. 51 patches on their jerseys.

The CIAC baseball state finals will be played at Middletown’s Palmer Field on Friday, June 9 and Saturday, June 10.

A brief pregame ceremony will take place on June 10 to formally honor DeMonte and his family.

TheBerlinCitizen | theberlincitizen.com A8 Thursday, May25, 2023
You!
Berlin Citizen, Central Pizza, Cortney's Modern Dipper, Dynasty Jewelers, Glowka Financial, Newport Realty Group, Schaller Subaru, and Sharon Elizabeth Florist R261629 860-225-1534 • Kensington, CT 06037 RileyPlumbingCompany.com For 35 years, our family taking care of your family! R257029v4 LIC# 0203782 How Can We Make You Smile Today! R261633 HOLCOMB Tree Incorporated Pruning, Cabling, Tree Removal Plainville, CT holcombtree@yahoo.com Office: 860-747-2805 Cell: 860-416-0668 Timothy Holcomb Licensed Arborist S-4442 • Est. 1940 • Fully Insured Visit us online at www.holcombtreeinc.com R256979
EAT LOCAL - WIN LOCAL campaign.

The Berlin Citizen is Honored to Present the 2023 Winners of the Best of Berlin Awards

RJModularTab | Best of Berlin Thursday, May 25, 2023 -1
R261528

-2 Thursday, May 25, 2023

BEAUTY & HEALTH BARBER SHOP

WINNER

Barbology

RUNNER UP

Amenta’s Barber Shop

Star Barber Shop

DAY SPA WINNER

Silk Waxing Spa

RUNNER UP

Right Touch Therapeutic Massage

Intoxikated

CHIROPRACTOR WINNER

Roth Family Chiropractic

RUNNER UP

Michele Imossi, DC

Small Miracles Natural Health Center

DENTIST

WINNER

Berlin Family Dental, Hashim Gibril DDS

RUNNER UP

Matus Family Dentistry

Katz Family Dental Care

DERMATOLOGIST

WINNER

Pennington Mark MD

RUNNER UP

Vivacious Look

Paula Bevilacqua LLC

DIET CENTER

WINNER

Just Results

RUNNER UP

Fitness By Design

Grant’s Nutrition & Wellness

EYEGLASS & CONTACT STORE

WINNER

Ratchford Eye Center

RUNNER UP

Kensington Opticians

Harvey & Lewis Opticians

EYELASH EXTENSIONS

WINNER

Silk Waxing Spa

RUNNER UP

Intoxikated

HAIR SALON

WINNER

Drop Dyed Gorgeous LLC

RUNNER UP

The Color Platform

Creations Hair & Spa Salon

HEARING AID CENTER

WINNER

Kensington Hearing Services

RUNNER UP

Bassett Hearing Aid Center

All Ears Hearing Aid Services Inc

HOSPITAL WINNER

The Hospital of Central ConnecticutNew Britain General Campus

RUNNER UP

UConn Health

Middlesex Hospital

NAIL SALON WINNER

P&P Nail & Spa

RUNNER UP

Cathy’s Rose Nail Spa Inc

Lava Beauty & Well Being

OPTOMETRIST WINNER

Ratchford Eye Center

RUNNER UP

Harvey & Lewis Opticians

ORTHODONTIST WINNER

Advanced Dental

RUNNER UP

Cohen Family Orthodontics

PEDIATRICIAN WINNER

Dr. Matteo Lopreiato

RUNNER UP

New Britain Pediatric Group

Berlin Pediatric Associates

PHARMACY WINNER

Beacon Prescriptions New Britain

RUNNER UP

PODIATRIST WINNER

Dr. David M. Roccapriore

RUNNER UP

Connecticut Foot Care Center LLC

RADIOLOGY WINNER

MidState Radiology Associates

TANNING SALON WINNER

Xsalonce Hair Lounge & Spa

RUNNER UP

Catherine & Company Salon & Day Spa

THERAPEUTIC MASSAGE WINNER

Right Touch Therapeutic Massage

RUNNER UP

Adaptive Therapeutic Massage LLC

Healing Hands Massage LLC

Lava Beauty & Well Being

URGENT CARE

WINNER

Hartford HealthCare-GoHealth

Urgent Care

Thank you to the Berlin Community for so Much Support. This is our 4th year in a row winning BEST Chiropractor in the Best of Berlin Awards. We couldn’t have done it without our amazing patients. We have served the Berlin community for ten years and will continue to do our best to bring Berlin quality chiropractic care.

$60

for a consultation, exam, and digital motion X-Rays. Regularly $500

WEIGHT LOSS CENTER WINNER

Fitness By Design WINNER

Just Results

RUNNER UP

Grant’s Nutrition & Wellness

CLOTHING

CONSIGNMENT STORE

WINNER

Good Cause Gifts

RUNNER UP

Karma’s Closet Consignment Boutique

DINING

American WINNER

Joey B’s Restaurant

RUNNER UP

The Avenue

Tavern on the Trax

BAGELS

WINNER

Josie’s Corner

RUNNER UP

Swiches Coffee & Donuts

Cafe Busy Bean (Berlin)

BAKERY WINNER

Provision State Coffee

RUNNER UP

Neils Donuts

Mozzicato De Pasquale Bakery & Pastry Shop

Roth Family Chiropractic Phone: 860-505-7278

KensingtonChiropractor.com

Like us on Facebook

Best of Berlin - RJ Modular Tab
R261283

DINING

BBQ WINNER

Smokin’ With Chris RUNNER UP

Bear’s Smokehouse Barbecue

Taino Smokehouse Prime

BREAKFAST WINNER

Josie’s Corner RUNNER UP

Joey B’s Restaurant

Uncle D’s Diner

BREAKFAST SANDWICH WINNER

Josie’s Corner

RUNNER UP

Joey B’s Restaurant

Uncle D’s Diner

BURGER WINNER

Zack’s Burgers and Shakes RUNNER UP

The Avenue Heroes LLC

CATERER WINNER

Kensington Market RUNNER UP

The Avenue

Portofino’s

CHICKEN WINGS

WINNER

Sliders Grill & Bar - Berlin, CT

RUNNER UP

Tavern on the Trax

The Avenue

CHINESE WINNER

Great Taste Chinese Restaurant RUNNER UP

Happy Garden

East Tokyo Restaurant

COFFEE WINNER

Provision State Coffee

RUNNER UP

Josie’s Corner

Swiches Coffee & Donuts

DELI WINNER

Kensington Market

RUNNER UP

Stew Leonard’s

Veggie world

DINER

WINNER

Joey B’s Restaurant

RUNNER UP

Josie’s Corner

Uncle D’s Diner

DOUGHNUTS WINNER

Swiches Coffee & Donuts

RUNNER UP

Neils Donuts

South End Cafe and Pastry Shop

EARLY BIRD DINNER WINNER

The Avenue

RUNNER UP

Tavern on the Trax

Sans-Souci Restaurant

FAMILY RESTAURANT WINNER

The Avenue

RUNNER UP

Portofino’s

Tavern on the Trax

FINE DINING WINNER

Sans-Souci Restaurant

RUNNER UP

Portofino’s

The Avenue

GREEK WINNER

Central Pizza

RUNNER UP

Mykonos Mediterranean Restaurant

Mimo Bistro

HISPANIC WINNER

MofonGo Restaurant

RUNNER UP

Mimo Bistro

HOT DOG WINNER

Capitol Lunch

RUNNER UP

Riley’s Hot Dog & Burger Gourmet

Heroes LLC

ICE CREAM WINNER

Praline’s Ice Cream

RUNNER UP

Dairy Queen

Rock & Roll Ice Cream

INDIAN WINNER

Himalaya Restaurant

ITALIAN WINNER

Portofino’s RUNNER UP

The Avenue

Sans-Souci Restaurant

JAPANESE WINNER

East Tokyo Restaurant RUNNER UP

Seven Moons Thai cuisine

LUNCH SPOT WINNER

Joey B’s Restaurant

RUNNER UP

The Avenue

Tavern on the Trax

MEXICAN WINNER

Puerto Vallarta Newington

RUNNER UP

Plaza Azteca Mexican Restaurant

Salsas 4 Taqueria

MUFFINS WINNER

Josie’s Corner

RUNNER UP

Provision State Coffee

Swiches Coffee & Donuts

OUTDOOR DINING WINNER

Tavern on the Trax

RUNNER UP

Provision State Coffee

The Avenue

PASTRY WINNER

Provision State Coffee

RUNNER UP

Giovanni’s Bakery

Cafe Busy Bean (Berlin)

RJModularTab | Best of Berlin Thursday, May 25, 2023 -3
89 Harding Street • Berlin, CT 860-829-7377 261323 Celebrating 39 years of serving Berlin and the surrounding area! • Full Service & Repairs, Diagnostics & Accessories • 24 Month/24,000 Mile Warranty • CT State Emissions, Testing & Repair We’re here to help! KENSINGTON AUTO SERVICE LTD. Thank you to the community for voting us for 13 years in a row! As Berlin’s #1 Repair Center, we appreciate all of our loyal customers through the years! BEST O F... AWARDS AWARDS 2010–2023

-4 Thursday, May 25, 2023

DINING

PIZZA

WINNER

Central Pizza RUNNER UP

The Avenue

Kensington Pizza

POLISH WINNER

Baltic Restaurant

WINNER

Staropolska Restaurant

ROMANTIC RESTAURANT WINNER

The Avenue

RUNNER UP

Sans-Souci Restaurant

Cornerstone Restaurant

SALAD BAR

WINNER

Ruby Tuesday

SEAFOOD

WINNER

Blue Lobster Restaurant

RUNNER UP

The Avenue

STEAKHOUSE WINNER

Sans-Souci Restaurant

RUNNER UP

J. Gilbert’s Wood-Fired Steaks & Seafood

SUSHI WINNER

East Tokyo Restaurant

THAI WINNER

Seven Moons Thai cuisine

ENTERTAINMENT & LEISURE

BOWLING

WINNER

Callahan’s Bowl-O-Rama

WINNER

Lessard Lanes

DIY ART STUDIO

WINNER

Rocking Berlin CT

DJ

WINNER

Tavern on the Trax

RUNNER UP

Heroes LLC

HAPPY HOUR

WINNER

The Avenue

RUNNER UP

Tavern on the Trax

Heroes LLC

HAPPY HOUR - LATE NIGHT

WINNER

Tavern on the Trax

RUNNER UP

The Avenue Heroes LLC

KARAOKE BAR

WINNER

Heroes LLC

RUNNER UP

Tavern on the Trax

LIVE MUSIC WINNER

Heroes LLC

RUNNER UP

The Truck Bar – Berlin, CT

NEIGHBORHOOD BAR

WINNER

The Avenue

RUNNER UP

Heroes LLC

Tavern on the Trax

SPORTS BAR

WINNER

Sliders Grill & Bar - Berlin, CT

RUNNER UP

Tavern on the Trax

The Avenue

HOME, HOME SERVICES & FINANCE

ACCOUNTANT

WINNER

Accounts Management Inc

RUNNER UP

Frank Cassese

CFO Accounting Services

ASSISTED LIVING FACILITY

WINNER

Masonicare At Ashlar Village

BANK

WINNER

Webster Bank

RUNNER UP

TD Bank

Liberty Bank

CREDIT UNION

WINNER

UBI Federal Credit Union

RUNNER UP

Achieve Financial Credit Union

American Eagle Financial Credit Union

ELECTRICIAN WINNER

Santoro Electric Co

RUNNER UP

Newington Electric

Roy’s Electric LLC

FLOORING COMPANY

WINNER

Matson Rugs Inc

RUNNER UP

Bela’s Hardwood Flooring

HOME BUILDER

WINNER

Nadeau Brothers Concrete, LLC

RUNNER UP

Trigila Construction Inc

Zambrano´s Construction

HOME CONTRACTOR

WINNER

Trigila Construction Inc

RUNNER UP

JD Home Improvements Performance Builders

HOME REMODELING

WINNER

Marchetti Cabinet and Furniture

Refinishing RUNNER UP

Trigila Construction Inc

A1 Home Improvement LLC

INSURANCE AGENT

WINNER

Kensington Insurance Ltd

RUNNER UP

PMG Insurance & Financial Services

Bogden Insurance Agency

INVESTMENT FIRM

WINNER

PMG Insurance & Financial Services

RUNNER UP

Kern Mortgage Co., Inc.

Accounts Management Inc

LANDSCAPING

WINNER

TAJ Lawn Services

RUNNER UP

Marchetti Landscaping

Shemeth landscaping LLC

Best of Berlin - RJ Modular Tab
Dr. Hashim F. Gibril • 860-225-2054 211 New Britain Road, Suite 107 Berlin, CT • www.BerlinDentalCT.com • Cosmetic Dentistry • Dental Technology • General Dentistry • Pediatric Dentistry • Restorative Dentistry • Sedation Dentistry
forward to helping you keep your teeth
Give us a call to make that happen. New patients are always welcome!
Thank you for voting us Best Dentist!
“Looking
for a lifetime.”
R261172
RJModularTab Thursday, May 25, 2023 -5 DEP Reg. #B-0971 Member Berlin Chamber of Commerce & proud sponsors of many community, high school and civic events 176 White Oak Drive • 860-829-2306 visit us at www.centralctlawnservice.com or ccls1@comcast.net Rick, Dave & Gary DeGroff Organic Programs Grub Preventative Core Aeration Bed Weed Control Our Lawn and Tree & Shrub Programs offer: Our 2۷th year in business! Ask our loyal customers – We provide outstanding customer service and products at affordable prices. Pre-payment discounts Central Connecticut Lawn Service right around the corner... Residential and Commercial “Big enough to do it right, small enough to care” Right Around Central Connecticut Lawn Service DEP Reg. #B-0971 Member Berlin Chamber of Commerce & proud sponsors of many community, high school and civic events 176 White Oak Drive • 860-829-2306 visit us at www.centralctlawnservice.com or ccls1@comcast.net Rick, Dave & Gary DeGroff Fertilizing Applications Drill Seeding Tree & Shrub Pruning Our Lawn and Tree & Shrub Programs offer: Our 2۷th year in business! Ask our loyal customers –customer service and products at affordable prices. Pre-payment discounts Central Connecticut Lawn Service right around the corner... Residential and Commercial “Big enough to do it right, small enough to care” Right Around Central Connecticut Lawn Service Member Berlin Chamber of Commerce & proud sponsors of many community 176 White Oak Drive • 860-829-2306 www.centralctlawnservice.com or ccls1@comcast.net Rick, Dave & Gary DeGroff • Fertilizing Applications • Lime • Drill Seeding • Tree & Shrub Pruning • Flea & Tick Control • Organic Programs • Grub Preventative • Core Aeration • Bed Weed Control • Insect Spraying • Anti-desiccant/Dormant Oils • Deer Repellant • Crab Grass Preventative Our Lawn and Tree & Shrub Programs offer: Our 2۷th year in business! Ask our loyal customers – We provide outstanding customer service and products at affordable prices. Central Connecticut Lawn Service Spring is right around the corner... Residential and Commercial “Big enough to do it right, small enough to care” REALLY! Spring is Right Around the Corner! Central Connecticut Lawn Service DEP Reg. #B-0971 Member Berlin Chamber of Commerce & proud sponsors of many community, high school and civic events 176 White Oak Drive • 860-829-2306 visit us at www.centralctlawnservice.com or ccls1@comcast.net Rick, Dave & Gary DeGroff • Fertilizing Applications • Lime • Drill Seeding • Tree & Shrub Pruning • Flea & Tick Control • Organic Programs • Grub Preventative • Core Aeration • Bed Weed Control • Insect Spraying • Anti-desiccant/Dormant Oils • Deer Repellant • Crab Grass Preventative Our Lawn and Tree & Shrub Programs offer: Our 2۷th year in business! Ask our loyal customers – We provide outstanding customer service and products at affordable prices. Pre-payment discounts Central Connecticut Lawn Service Spring is right around the corner... Residential and Commercial “Big enough to do it right, small enough to care” REALLY! Spring is Right Around the Corner! CELEBRATING 33 YEARS & GROWING! R261174 THANK YOU for voting us Best Lawncare! Central Connecticut Lawn Service Member Berlin Chamber of Commerce & proud sponsors of many community 176 White Oak Drive • 860-829-2306 www.centralctlawnservice.com or ccls1@comcast.net Rick, Dave & Gary DeGroff • Fertilizing Applications • Lime • Drill Seeding • Tree & Shrub Pruning • Flea & Tick Control • Organic Programs • Grub Preventative • Core Aeration • Bed Weed Control • Insect Spraying • Anti-desiccant/Dormant Oils • Deer Repellant • Crab Grass Preventative Our Lawn and Tree & Shrub Programs offer: Our 2۷th year in business! Ask our loyal customers – eW provide outstanding customer service and products at affordable prices. Central Connecticut Lawn Service Spring is right around the corner... Residential and Commercial “Big enough to do it right, small enough to care” REALLY! Spring is Right Around the Corner! Central Connecticut Lawn Service Rick, Dave & Gary DeGroff Our 2۷th year in business! Ask our loyal customers – eW provide outstanding Spring is right around the corner... Residential and Commercial “Big enough to do it right, small enough to care” REALLY! Spring is Right Around the Corner! 261169 There is no greater reward than helping my clients find their home and conquering the challenges along the way. This award is just the “icing on the cake” for what has been a very fulfilling and fun 18 years in real estate. I am so excited and looking forward to another 18+ years together. It’s an honor to be voted one of the Top Realtors in 2023! R251485 Mary Gurrieri, Realtor RE/MAX Right Choice 1195 Farmington Avenue Berlin, Connecticut 06037 860.604.3193 mgurrieri@comcast.net Honest. Professional. Reliable. Kensington, CT • JMBPlumbingCT.com Lic. # PLM.0287294-P1 and Reg. # HIC.0648888 Like us on Facebook 261180 860.748.7910 THANK YOU, our community for voting us BEST PLUMBER 5 years in a row!

-6

Thursday, May 25, 2023

HOME, HOME SERVICES & FINANCE

LAW FIRM

WINNER

Dombrowski Law Group, LLC

RUNNER UP

Richard H. Pentore

Kern & Kern LLC

LAWN CARE

WINNER

Central CT Lawn Services

WINNER

Shemeth Landscaping LLC

RUNNER UP

Marc’s Landscaping

REAL ESTATE AGENT

WINNER

Derek Jutras

WINNER

Mary Jean Agostini

RUNNER UP

Mary Gurrieri

REAL ESTATE COMPANY

WINNER

Cornerstone Real Estate LLC

RUNNER UP

Mary Gurrieri

Kern Mortgage Co., Inc.

ROOFING

WINNER

Jaime Dubuc Roofing

RUNNER UP

A1 Home Improvement LLC

Zamon roofing

SIDING WINNER

A1 Home Improvement LLC

WINNER

JD’s Home Improvements

RUNNER UP

Artisan Building and Remodeling LLC

SWIMMING POOLS

WINNER

Percival Pool

TREE SURGEON

WINNER

Jani Tree Services

RUNNER UP

Rogers, Tree Service

Schmitt Tree Service and Landscaping

KIDS & EDUCATION

DANCE SCHOOL WINNER

Dance Legacy

RUNNER UP

Dance Step

Backstage Academy of Dance

DAY CAMP

WINNER

Little Blessings Preschool

RUNNER UP

YMCA Camp Sloper

Berlin YMCA Program Center

DAY CARE

WINNER

Little Blessings Preschool

RUNNER UP

Creative Kid’s Learning Center

Discovery Center Preschool Inc.

LEARNING CENTER/TUTOR

WINNER

Little Blessings Preschool

RUNNER UP

BrightPath Berlin

MARTIAL ARTS

WINNER

Valentin Karate Berlin

RUNNER UP

Relson Gracie Jiu-Jitsu Academy

Warriors Breath Martial Arts

MUSIC SCHOOL

WINNER

Musical Expressions

PRIVATE SCHOOL

WINNER

Little Blessings Preschool

RUNNER UP

St Paul’s School

Xavier High School

PEOPLE & PLACES

EVENT VENUE

WINNER

Berlin Fair Grounds

RUNNER UP

The Truck Bar – Berlin, CT

Baltic Restaurant

FAMILY OWNED BUSINESS WINNER

The Avenue

RUNNER UP

Cortney’s Modern Dipper

Tavern on the Trax

HOTEL WINNER

Best Western Plus

ORCHARD WINNER

Rogers Orchards - Shuttle Meadow

Kensington

Best of Berlin - RJ Modular Tab
Congregational Church Baltic Restaurant SERVICES CAR WASH WINNER Super Shine Car Wash RUNNER UP Spotless Auto Detailing CARPET CLEANING WINNER Evans Cameo Carpet Cleaning WINNER The Carpet Doctor COMMERCIAL INSURANCE WINNER Kensington Insurance, Ltd RUNNER UP Bogden Insurance Agency Suzio Insurance Center, Inc. Residential and Commercial • Lawn Mowing • Spring & Fall Clean Ups • Hedge Trimming • Mulch • Decorative Stone Installation • And Snow Removal Fully Licensed and Insured R261329 Thank you for voting us best landscaping! SERVING OUR COMMUNITY SINCE 1918 19 WOODLAND STREET, NEW BRITAIN, CT 06051 | 860.225.6491 | LIKE US ON R261328 Lic. # 385591 • HOD # 322 Thank you for voTing us #1! Berlin’s BesT fuel & oil Company Thank you for voting us best Ophthalmologist, Optometrist, and  Eyeglass & Contact Store in Berlin! 1166 Farmington Ave. Berlin CT 860.829.8939 261281 Thank you for voting us Best Family Restaurant, Best Family Owned and Best Neighborhood Bar 860-259-5755 • 958 Farmington Ave, Berlin Open 7 Days A Week Monday 11am-9pm Tuesday-Saturday 11am -10pm Sunday 12pm- 9pm Open for Dine-in, Takeout & Delivery Catering available for pick up “Best Pizza, Best Family Restaurant, Best Italian, Best Caterer, Best Lunch Spot” Order Online www.theaverestaurant.com 261285
RJModularTab | Best of Berlin Thursday, May 25, 2023 -7 96 Webster Square Rd. | Berlin, CT 06037 | (860) 828-3680 R261175 Thank you for Voting Us Best Tire Center! SANS SOUCI Restaurant and Lounge 2003 N Broad St. (Berlin Turnpike) Meriden, CT Closed Mondays • 203-639-1777 • SansSouciRestaurant.com Thank you for voting us Best Fine Dining and Steakhouse Thursday Night $7 Martini Night Tuesday Evening Special! 5 Courses for $18.95 261284 • • 1195 Farmington Ave. Berlin, CT 860-995-9665 mjagostini.com R261184 MJ AGOSTINI REAL ESTATE MJ is honored to have been voted Top Realtor in the Berlin Best of Awards for 2023! Perfectfor Perfectfor Perfectfor Ages4-13! Ages4-13! You are invited to join me in my AWESOME Karate Class! Improved Confidence! Increased Focus! Better Behavior! Become Bully-Proof! Gain Strength! Increased Flexibility! Learn Real Self-Defense! Hey Moms, Dads & Guardians! Your awesome kid is invited to attend our karate program for a 30-day free trial! Call us to save your child's spot today! Call/Text (203) 527-0126 Meriden With four convenient locations: Berlin Middlebury Plantsville www.ValentinKarate.net Veteran Owned & Family Operated. We offer the BEST FAMILY PLANS! Pay for two, everyone else in your household is FREE! 261155

-8

Thursday, May 25, 2023

SERVICES

HEATING & A/C SERVICE

WINNER

Miele Mechanical Services

RUNNER UP

Douglas Mechanical Services, Inc

Superior Heating & Cooling Inc

INDEPENDENT LIVING

WINNER

Orchard Ridge

MOBILE / PHONE STORE

WINNER

Verizon

RUNNER UP

T-Mobile Newington

PAINTER

WINNER

Keith’s Painting, Power Washing & Scrap Removal

RUNNER UP

Brush Mark’s Painting

4A Painting

PERSONAL INJURY LAWYER

WINNER

Dombrowski Law Group, LLC

RUNNER UP

Berlin Law Offices, LLC

PEST CONTROL

WINNER

AC Exterminating

RUNNER UP

Fox Pest Control

PET GROOMER

WINNER

Dirty Dog DIY Pet Wash & Pawstry Shop LLC

RUNNER UP

Top Dog Pet Services

Cuddlesudz Pet Salon

PHOTOGRAPHER

WINNER

Cinematic Images

RUNNER UP

Steve Adams Photography

PLUMBER

WINNER

JMB Plumbing LLC

RUNNER UP

Ciaffaglione plumbing

Robert Derosher

SCREEN PRINTING & EMBROIDERY

WINNER

American Embroidery

SELF STORAGE COMPANY

WINNER

Public Storage

TATTOO PARLOR

WINNER

917INK Tattoo & Piercing

TRAVEL AGENT WINNER

Perkins Travel Corporation

RUNNER UP

Cruiseone, -Berlin

VETERINARIAN WINNER

Kensington Bird & Animal Hospital

RUNNER UP

Animal Hospital of Berlin Silver Lake Animal Hospital

SHOPPING

ANTIQUE STORE

WINNER

Turnpike Antiques & Vintage

APPLIANCE STORE

WINNER

S.K. Lavery Appliance

RUNNER UP

Turnpike Antiques & Vintage

BRIDAL STORE

WINNER

Mariella Creations

RUNNER UP Bridal Bells LLC by appointment only

CHILDREN’S STORE

WINNER

Good Cause Gifts

RUNNER UP

Molly’s Hanger

FINE JEWELRY WINNER

Dynasty Jewelry

FLOOR COVERING STORE

WINNER

Matson Rugs Inc

FLORIST

WINNER

Brierley Johnson Florist

RUNNER UP

Sharon Elizabeth’s Floral Designs L.L.C.

Marzi Florist

FORMAL WEAR WINNER

Bridal Bells LLC

FURNITURE WINNER

Bungalow on the Ave

RUNNER UP

Dragonfly Home & Gift

La-Z-Boy Furniture Galleries

GARDEN CENTER

WINNER

Cold Spring Brook Farm Inc

RUNNER UP

Stonehedge Ldscpg And Garden Center

Berger Nursery & Garden

GIFT STORE

WINNER

Dragonfly Home & Gift

RUNNER UP

Good Cause Gifts

Cortney’s Modern Dipper

GROCERY

WINNER

Stew Leonard’s

RUNNER UP

Kensington Market

Cortney’s Modern Dipper

HARDWARE STORE

WINNER

Rutkowski Paint and Hardware

JEWELRY STORE

WINNER

Dynasty Jewelry

RUNNER UP

Dragonfly Home & Gift

MATTRESS STORE

WINNER

Raymour & Flanigan Furniture and Mattress Store

RUNNER UP

Connecticut Mattress

MEAT MARKET

WINNER

Kensington Market

RUNNER UP

Stew Leonard’s Baretta Provision

Best of Berlin - RJ Modular Tab
THANK YOU Thank you for Voting Us Best Burger! We love our customers and look forward to seeing you soon! 520 High Rd, Berlin, CT    860.357.2089 zacksburgersandshakes.com 261332 979 Deming Rd, Berlin | 860-357-4090 www.coldspringbrookfarm.com | Hours - Sun thru Sat 9am-5pm We are a family-run farm in Berlin, that sells and grows its own plants and produce since 1910. Our Family thanks you for voting us Best Garden Center! 261290
RJModularTab | Best of Berlin Thursday, May 25, 2023 -9 261168 HartfordHealthCare.org We are proud to bring our communities the best care, and to be recognized by our neighbors as the best. Our awards include: Best Hospital: MidState Medical Center Best Emergency Room: The Hospital of Central Connecticut, Bradley Memorial Campus Best Urgent Care: Hartford HealthCare Medical Group and MidState Medical Center Emergency Room Best Assisted Living Facility: The Orchards at Southington Radiology: Midstate Radiology Associates Thank you for this recognition. 261407 R261321 Please check out our Daily specials on Facebook THANK YOU for all the votes and support from our friends, family and loyal patrons. #1: Best Diner • Best Lunch # 2: Best Breakfast • Best Breakfast Sandwich 83 MILL ST, BERLIN | (860) 828-3922 | EATATJOEYBS.COM
Best of Berlin - RJ Modular Tab -10 Thursday, May 25, 2023 Eye Exams • Glasses Contact Lenses Only the best designers at reasonable prices. Call to schedule an eye exam or to get fitted for contact lenses. Most insurances accepted. 28 Chamberlain Hwy. Kensington, CT 860.829.9090 71185-01 Up To $200 in Savings! On a Year Supply of Contacts! Call Today! Rebate may vary by brand. Vote for Us as Berlin’s Best Eyeglass & Contact Store! 32 Chamberlain Hwy. Kensington, CT | 860.829.9090 Now Open on Mondays 9am-5:30pm! R261179 Call to schedule your appointment. Students receive 50% discount! Voted Best Eyeglass & Contact Store Thank you for your support! • CELEB R ATING • • 189 0 – 2020 • 130yrs.133yrs. 189 -2023 Best Furniture Store Your destination for everything home! WINNER BungalowOnTheAve.com 211 New Britain Road, Suite 209, Berlin (860) 827-8787 Accounts Management Inc Thank you for voting us Best accountant in Berlin,CT! We greatly appreciate your vote & support 261278 Kensington Insurance, LTD. 925 Farmington Ave • Kensington, CT 06037 Family Owned & Operated Since 1979 Specializing in Family Insurance Plans, Small Business Insurance & Contractor’s Insurance THANK YOU FOR CHOOSING US! BERLIN’S BEST INSURANCE AGENT! 261181 THANK YOU For Choosing Us Best Insurance Agent and Best Commercial Insurance Voted best of berlin 2015, 2016, 2017, 2018, 2019, 2020,  2021, 2022 & 2023 Kensington Insurance, LTD. 925 Farmington Ave • Kensington, CT 06037 Family Owned & Operated Since 1979 Specializing in Family Insurance Plans, Small Business Insurance & Contractor’s Insurance THANK YOU FOR CHOOSING US! BERLIN’S BEST INSURANCE AGENT! 925 Farmington Ave • Kensington, CT 06037 • 860-828-6525 Thank you for voting us Best Fitness/ Gym &  Best Yoga Studio TheBalticRestaurant.com 237 New Britain Rd. Berlin, CT R261171 860.828.9967 Thank you for voting us Best of Berlin! 1179 Farmington Avenue Kensington $1 OFF ANY Ice Cream Cake with coupon. Expires 6/30/23 Chamberlain Hwy. at Corbin Ave. 87 High Road, Kensington, CT Phone 223-5492 Brierley, Johnson We Deliver It’s Spring in Our Greenhouse. 260976 Summer is a time for celebrations. Let us be a part of your memories. Brierley, Johnson Florist 87 High Rd. 860-223-5492 Corner 71A and 372 (Farmington Ave) Thank you for being our customers and friends over the past 65 years! #1 Best Florist

SHOPPING

MUSIC STORE

WINNER

Musical Expressions

PACKING & SHIPPING STORE

WINNER

UPS Access Point location

RUNNER UP

FedEx Office Print & Ship Center

PAINT STORE WINNER

The Home Depot

PAWN SHOP WINNER

Platinum Pawn Shop

PET SUPPLIES WINNER

Dirty Dog DIY Pet Wash & Pawstry

Shop llc

RUNNER UP

PetSmart

PRINT SHOP WINNER

Academy Printing Services

SEAFOOD MARKET

WINNER

Stew Leonard’s

RUNNER UP

Blue Lobster Restaurant

SPORTING GOODS WINNER

Suburban Sports RUNNER UP

DICK’S Sporting Goods

TUXEDO STORE WINNER

Bridal Bells LLC

VAPE SHOP

WINNER

Berlin Smoke & Vape Shop

WOMEN’S CLOTHING

WINNER

Kohl’s

RUNNER UP

Good Cause Gifts

Mickey Finn’s

SPIRITS

LIQUOR STORE

WINNER

Berlin Spirits

RUNNER UP

C & C Wines and Spirits

M & M Discount Wines & Liquors

SPORTS, FITNESS & EXERCISE

BICYCLE STORE

WINNER

Suburban Sports RUNNER UP

Cutting Edge

FITNESS CENTER/GYM

WINNER

SIN Fitness

RUNNER UP

Fitness By Design

Powerhouse Super Gym

GOLF COURSE WINNER

Timberlin Golf Course

RUNNER UP

Shuttle Meadow Country Club

PILATES

WINNER

Fitness By Design

RUNNER UP

Sudor Taino Group Fitness Studio

POOL / SPA STORE & SUPPLIES

WINNER

Rizzo Pools

YOGA STUDIO WINNER

SIN Fitness

RUNNER UP

Fitness By Design

Be Wild Yoga

VEHICLES DEALERS & SERVICES

AUTO BODY/COLLISION

WINNER

Kenwood Auto Body & Sales, LLC

RUNNER UP

Stanley Street Auto Body Inc

AUTO DEALER SERVICE DEPT.

WINNER

Kensington Auto Service, Ltd.

RUNNER UP

Schaller Subaru

Absolute Auto Center

AUTO DETAILING

WINNER

Spotless Auto Detailing

AUTO REPAIR- INDEPENDENT

WINNER

Kensington Auto Service, Ltd.

RUNNER UP

Ron’s Automotive Repair Inc Black Rock Services Inc

CAR SALESMAN WINNER

Absolute Auto Center

RUNNER UP

John Senick Columbia Ford KIA

NEW CAR DEALER WINNER

Acura of Berlin

TIRE CENTER WINNER

Connecticut Tire

RUNNER UP

Kensington Auto Service, Ltd.

USED CAR DEALER WINNER

Absolute Auto Center RUNNER UP

Kensington Auto Service, Ltd.

Schaller Subaru

RJModularTab | Best of Berlin Thursday, May 25, 2023 -11
Specializing in: Carpet | Area Rugs Wood Floors | Tile | Laminate | Vinyl 261326 THANK YOU to all of our loyal friends and customers for making us the #1 FLOORING STORE again this year! 892 Farmington Ave, Kensington, CT matsonrugs.com | 860-828-9969 Your Floorcovering Specialist Since 1946 facebook.com/MatsonRugs 1014 Farmington Ave. Kensington • 860-829-1330 • www.kensingtonmarket.com Thank You for voting us Best Deli, Best Meat Market and Best Caterer! It’s a blessing to be part something that put’s a smile on people’s faces. R261324 As a special thank you, ENJOY $10 OFF any service with select stylists. Must mention coupon at time of appointment. Expires 7/15/23 www.DropDyedGorgeous.com 1101 Farmington Ave, Berlin, CT 06037 • 860-914-8363 R261106 Thank you for voting us Best Hair Salon! Cornerstone R eal e state llc Derek Jutras Broker/Owner R261177 Office (860) 828-7877 Fax (860) 828-5797 Cell (860) 883-7091 E-mail: djutras@sbcglobal.net 860-828-7877 951 Farmington Ave, Berlin, CT “Thank you for Voting Us Best Real Estate Agency”
Best of Berlin - RJ Modular Tab -12 Thursday, May 25, 2023 543 West Main Street, New Britain, CT 860-225-6487 233 Main Street, New Britain, CT 860-356-3270 THANK YOU to all our customers that voted Beacon Prescriptions “Best Local Pharmacy” FREE DELIVERY TO BERLIN EVERYDAY • NOW TWO LOCATIONS! R261115 BEST O F... 20 17 AWARDS AWARDS 2014–2023 Like Us Beacon Prescriptions New Britain beaconrx.com

Flags placed at vets’ graves

Press release

Armed Forces Day is a day to pay tribute to the men and women who have served and who are currently serving in the United States Armed Forces. Armed Forces Day is celebrated on the third Saturday in May and is part of Armed Forces Week.

President Harry S. Truman led the effort to establish Armed Forces Day. The idea was for citizens to come together and thank our military members for their patriotic service in support of our country.

The one-day celebration then stemmed from the unification of the Armed Forces under the Department of Defense. It was on August 31, 1949, that Secretary of Defense Louis Johnson announced the creation of an Armed Forces Day to replace separate U.S. Army, U.S. Marine Corps, U.S. Navy, U.S. Air Force, and U.S. Coast Guard Days.

The Berlin Veterans Commission not only pays tribute to all these men and women, but also honors and remembers all of the town’s veterans who have passed. Every year on Armed Forces Day, the Veterans Commission distributes over 1,150 new American flags to its members and volunteers to be placed at the graves of all Berlin’s deceased veterans in the 11 cemeteries in town.

This year, the Berlin Veterans Commission met with over 30 Berlin Boy Scouts

See Flags, A24

Town of Berlin Fire Responses

The Fire Administrator’s Office for the Town of Berlin reports the following incidents for the week of May 14.

May 14: 300 block of Main Street, East Berlin: Fire alarm – Companies 1, 2, 3 and 4

May 14: 000 block of High Road: Motor vehicle accident – Company 2 and 4

May 16: 200 block of Kensington Road: Fire alarm – Companies 1, 2, 3 and 4

May 16: 700 block of Four Rod Road: Fire alarm –Companies 1, 2, 3 and 4

May 16: High Road and Alling Street: Motor vehicle accident – Compa-

nies 2, 3 and 4

May 17: Mutual aid rendered to Southington FD – Company 2

May 18: 700 block of Southington Road: Motor vehicle accident – Companies 1, 2, 3 and 4

May 18: 200 block of Deming Road: Gas leak – Companies

1, 2, 3 and 4

May 20: 200 block of New Park Drive: Brush fire –Companies 1 and 3

May 20: 200 block of Kensington Road: Fire alarm –Companies 2, 3 and 4

Fire Company Designations:

1. East Berlin 2. Kensington

3. Berlin 4. South Kensington

In order to continue delivery to your home or business, we need to have each resident or business let us know that, by filling out our on-line requester form at myrecordjournal. com/berlin-requester

Or, you can call us at 203-634-3933 and we can mail you a postage paid postcard to fill out and return. Without the necessary requester information, delivery of your Berlin Citizen to your home or business, will end.

TheBerlinCitizen | theberlincitizen.com Thursday, May25, 2023 A21
Boy Scouts, leaders, parents, and Veteran Commission members Charles Colaresi and Peter Galgano pose at a cemetery in Berlin after placing 1,150 flags throughout cemeteriesthroughoutBerlin.
R256092 v4 860-748-0541•phoenicianhi.com Experience Our Professional Difference! R256984 Roofing • Siding • Windows Gutters • Doors • Basement Finishing Kitchen & Bath Remodel • Decks Call for a FREE No Pressure Estimate! Fully Licensed & Insured #582443
Photo by Lee Roski
HELP US HELP YOU, CONTINUE RECEIVING “YOUR” LOCAL WEEKLY. R257945 Coming to your home or business HELP KEEP

Sunblock, hat—bring

Transit-

TheBerlinCitizen | theberlincitizen.com A22 Thursday, May25, 2023 Print & Digital Subscription SPECIAL SAVINGS 40% OFF 5-day USPS delivery for three months ($22.20/ month), full price in month four. USPS delivery is available in the towns of Berlin, Cheshire, Durham, Middletown, Middlefield, Meriden, Plantsville, Southington and Wallingford. Delivery is Tuesday-Saturday by USPS. PLUS All print subscribers who activate their free digital access will receive our daily Record-Journal Story Break emails with up to date stories, and have 24-hour access to our five-day online E-Edition available Tuesday-Saturday by 5AM. OR GO TO subscribe.myrecordjournal.com and SIGN UP TODAY! Scan the QR code Our Saturday Weekender edition has all the weekend inserts along with our new feature, EXTRA EXTRA, our 12-page entertainment/puzzles section. Enjoy the same digital access benefits as a print subscriber, including 24hour access to our fiveday online E-Edition available TuesdaySaturday by 5AM. |SOUTHINGTON y,December12,2021 TOWN LESIGLATIVE PRIORITIES INCLUDE BUSING, JUVENILE JUSTICE PAGE C1 Officials review requests for funds through Department requests. SCHOOL CLASS CHAMPIONSHIP GAME Independent short film uses town locations graduated Health district focuses on vaccinating c dren COVID-19 against CHESPRO HEALTH DISTRICT Sheehy, cinematographer AL Complete Affordable Family Dental Care! Dentures Relines wait. Extractions appointment! Styles starting $250* LOWER without 203.238.7968 NewEngland DentalCT.com ORANGE Senior Discount 25% OFF Digital subscription for six months ($2.76/week) of unlimited Digital Access. Full price in month seven. Or go to subscribe.myrecordjournal.com and SIGN UP TODAY! Scan the QR code MERIDEN WALLINGFORD SOUTHINGTON CHESHIRE R Tuesday, July 26, 2016 149th year, No. 208 $1.00 High 94 Low 67 Weather: Crews battle fires in Southington, North Haven. A2 BRUSH FIRES Democrats try to salvage chaotic day. A8 CONVENTION History is Spieth’s toughest opponent this year. A8 PGA CHAMPIONSHIP The family is back at Washington Park. B1 MERIDEN RAIDERS Wallingford YMCA surveys members on consolidating, expanding. A3 Frederick Mansell left a lasting impression on his students. A3 Editorial: Cigna and Anthem and Wade and Malloy. A4 Hedge fund earnings could wash ashore in Connecticut. B5 Abby, A7 Business, B5 Classified, B6 Comics, B8 Crossword, A7 History, B3 Lottery, Movies, B3 Nation & World, Obituaries, Opinion, A4 Public Notices, John Lyman III, executive vice president of Lyman Orchards, looks out over his family farm’s corn maze, being watered by large irrigation gun, on Monday. After multiple days with temperatures in the 90s, local officials and farmers are keeping an eye on the horizon, hoping for some rain. By Lauren Sievert Record-Journal staff By Pete Paguaga Record-Journal staff Local farmers, towns coping with heat, drought conditions After multiple days with temperatures in the 90s and no end in sight, local officials and farmers are keeping an eye on the horizon hoping for some rain. Gary Lessor, a meteorologist at Western Connecticut State University, said wave will continue through the weekend, with the heat index possibly hitting 100 degrees this week. Lessor said the high temperatures combined with humidity make feel even hotter. “The humidity makes feel oppressive,” Lessor said on Monday. “If your going to be outside for any duration stay hydrated.” So far this year, the area is inches below normal rainfall level, Lessor said. Some areas are experiencing passing showers or brief thunderstorms, but for the most part the drought conditions continue, Lessor The initial summer forecast called for hot and dry summer, and there no end in sight, Lessor said. The only thing that would alleviate the conditions would be tropical storm, and there are none on the radar, Lessor continued. The drought is normal for this time of year, however, Lessor said. Wallingford Public Utilities Director George Adair said the town’s reservoir levels are such that the drought plan has not been put into effect. Adair said in the 10 years he has been with the department he hasn’t seen the drought protocol activated yet. Adair said it would take to four weeks continued Long-lost ring back in family’s hands MERIDEN story over 10 years in the making has finally come full On Sunday afternoon, Angela Chionchio returned a wedding ring she found on the hiking trail to Castle Craig back in the early 2000s to the ring owner’s son Doug Dispersio. “I finally have closure,” Chionchio said after giving the ring to Dispersio. “I’m just excited to hand over him.” Sadly, the ring will not be returned to Lou Dispersio, who died in February. When Chionchio learned of his death, she was disappointed that she hadn’t found the ring sooner. While on one her hikes somewhere between 2001 and 2005, Chionchio recalled falling down a couple of times due to rain that was making the trail slippery. “I kind of had my head down focused on was walking because didn’t want to fall another time and just saw something shiny, just spot of it,” she said. “I had to dig it out of the ground and cleaned it and found there was an inscription on the inside that said ‘To Lou, with all my love Pat. 9-10-1957.’ She thought about placing newspaper classified ad, but after moving a few times in recent years, she misplaced the ring. A couple of weeks ago, while cleaning her house, she found Angela Chionchio gives Doug Dispersio his father’s ring, which she found at Castle Craig years ago. Pete Paguaga, Record­Journal between North Plains Highway and downtown Wallingford, incorporating Route 5 corridor and the Choate Rosemary Hall campus. Key recommendations include moving the current commercial, industrial
See Ring, A6 Wallingford l 203-265-0055 www.educationalplaycare.com
oriented strategy
on
EDUCATIONAL PLAYCARE The FuTure oF ChILDCAre AND PreSChooL IS here! Now celebrating 30 years! Childcare and Schools for Young Children ExtraExtra |myrecordjournal.com |Sa rd y,April8,2023 E1 INDEX AskTheDoctors, E2 Crosswords, E2 DearAbby, E11 Horoscope, E11 MondayComics, E9 Puzzles, E3 SaturdayComics, E4 SenseandSensitivity, E10 SundayComics, E5-E8 Television, E10 Brooke Shields, ‘Grease’ prequel and NF album Associated Press Here a collection curated by The Associated entertainment journalists of what arriving on TV, streaming services and music and video game platforms this week. Movies Pretty Baby: Brooke Shields, a two-part documentary that debuted Monday on Hulu, reconsiders how Shields was sexualized throughout pop culture as a child model and as the 12-year-old star of Louis Malle controversial 1978 film Pretty Baby. Shields, now 57, intimately discusses how the early labeling of her sex symbol affected her personally and shaped her career. Director Lana Wilson film, which debuted in January at the Sundance Film Festival, revisits plenty of infamous episodes from ds life her friendship with Michael Jackson, her relationship with Andre Agassi, her odd run-in with Tom Cruise well as new revelations, including that she was sexually assaulted by someone she knew professionally. new series on Criterion Channel revisits sex and from a much different perspective. Beginning in April, the streaming service has gathered together some of the defining erotic thrillers of the and 90s, including Brian De Pa ma Dressed to Kill (1980), with Angie Dickinson and Michael Caine; Lawrence Kasdan ody Heat (1981), with William Hurt and Kathleen Turner; and the Wachowski ound (1996), with Jennifer Tilly and Gina Gershon. Instinct arrives in June.) The absence of carnality in today more sexless cinema world has been subject of ongoing debate. But if you want to step back into steamier time, the Criterion Channel has you (but not its stars) covered. AP Film Writer Jake Coyle Musi Michigan rapper NF has new album out Friday and some tough love his record could write record full of radio songs/ Do bunch of features that my label would love, he raps on Mo the first single. Sounds like nightmare if you ask me/Went from my bedroom to the big eagu s. The 13-track album Hop boasts features with singersongwriter Julia Michaels and rapper Cordae. It marks the rapper first full-length release since 2019 platinum-selling The Search. Scottish singer Lewis Capaldi ready for his spotlight in 2023. The artist who gave us the pop ballad Someone Loved will album — Broken by Desire to be Heavenly Sent out on May 19 and he has been announced Glastonbury 2023. On Wednesday, Netflix released Lewis Capaldi: m Feeling Now, documentary that follows the Grammy nominee returning to his Scottish roots and attempting to reconnect with his old life and the family and friends he left behind. The new music includes the love song Po nt ss, with lush strings and powerful percussion. Linkin Park can celebrate the s landmark ora album with a 20th anniversary edition that dropped on Friday. It got lost gem literally, a complete and mixed, yet forgotten, song from the era, appropriately entitled Says bandmember STREAMING SERVICES, MUSIC AND VIDEO GAMES This combination of photos show promotional art for, from left, “Pretty Baby: Brooke Shields,”a documentary premiering April 4 on Hulu, “Grease: Rise of the Pink Ladies,”a series premiering April on Paramount+, and “Tiny Beautiful Things,”a series that premiered Friday, April 7, on Hulu. Hulu/Paramount+/Hulu Press See Media, E11 ‘Life of Pi’ review: A boy and a tiger, burning brightly By Alexis Soloski The New Times YORK butterflies enter first, quivering gaily atop their sticks. Then giraffe pokes her head in. goat gambols. A hyena cackles. zebra runs on. Then another. An orangutan swings through while her baby reposes on branch nearby. Above, monkeys meerkats chitter. the first act of Life of Pi, a menagerie menacing, delightful ntre ch itself on the stage of Broadway Gerald Schoenfeld Theater. With dazzling imagination and sublime control, the show cast and crew conjure delirious, dynamic, highly pettable world. And oh, is it a wonder. Though the play is ostensibly about one boy fraught survival after disaster, that story is somewhat thin. ife of Pi instead succeeds as broader tribute to human ingenuity and animal grace. Directed by Max Webster and adapted by playwright Lolita Chakrabarti from Yann Martel Booker Prize-winning novel, ife of Pi begins more somberly, in Mexico, in 1978. A grayed-out hospital room houses a sole patient, Pi Patel (Hiran Abeysekera). A Japanese cargo ship en route to Canada has sunk. Among its passengers were Pi and his family, who had set out from Pondicherry, India. And among its freight were animals Pi zookeeper father tended. All aboard have drowned, except Pi, traumatized 17-yearold who washed up in this fishing village after 227 days lost at sea. Visiting him this morning are Mr. Okamoto (Daisuke Tsuji), representative from the Japanese Ministry of Transport, and Lulu Chen (Kirstin Louie), from the Canadian Embassy. These guests have been charged with learning what happened to Pi. For their benefit, he spins fantastic tale incredible in every sense about sharing lifeboat with animals, initially several then finally just one, Richard Parker, an enormous, sinuous, very hungry Bengal tiger. Between Richard Parker and Pi, adamant carnivore and lifelong vegetarian, there is a desperate struggle for dominance. Richard Parker needs to eat. Pi would preCRITIC S PICK Hiran Abeysekara and the Bengal tiger Richard Parker in “Life of Pi,”at the Gerald Schoenfeld Theater in New York. Directed by Max Webster and adapted by the playwright Lolita Chakrabarti from Yann Martel’s Booker Prize-winning novel, “Life of Pi”succeeds as a tribute to human ingenuity and animal grace. Masuike, The Times See ‘Life of Pi’, E12 Magnificent studios and one-bedroom suites. New amenities: Beauty salon, movie theatre, exercise center. 203.272.2902 www.marbridgeweb.com Cheshire Magni cent Retirement Care Luxury Retirement Living One Bedroom Apts and Luxury Suites w/ Kitchenettes Five-star dining, professionally prepared and presented Housekeeping and laundry services daily 24 hour Security On-site staff available Fully furnished accommodations, desired. Complimentary cable, wireless, and telephone. All-inclusive rates- care packages available. Respite/vacation stays available Memory and Supportive Care available GRAND OPENING myrecordjournal.com/THINGSTODO Looking for something to do this weekend? 260491v2
summer!

From A1

peer leadership program, and serves as a STEM Academy tutor for math and computer science.

Michael is co-president of Tech xPerts; a director, producer and newscaster on the Redcoat Rundown studentled school news broadcast; and is a videographer with the Broadcast Club.

Michael is employed as an IT Assistant with the Berlin Public Schools. He plans to study Computer Science at the University of Connecticut.

Laura has taken advantage of extensive AP and UConn ECE courses and earned numerous academic awards in a variety of courses, high honors status all four years, and has received the Harvard Book Award.

Laura’s extracurricular activities include Upbeat, National Honor Society – where she serves as secretary – and Interact Club. She has been heavily involved with BHS school musicals, fall plays, and the Madrigals acapella ensemble. She has volunteered her time as a math tutor, and with the Bethlehem Fair, and has mentored an elementary school stu-

dent on a weekly basis.

Laura has been employed as a camp counselor with Berlin Parks & Recreation the past couple of summers. She plans to study Secondary Education for chemistry at the University of Connecticut.

Family

Former proprietors of the Neptune Diner in Wallingford. Extensive menu for all tastes. Breakfasts, luncheons and special dinners. All baking on premises.

TheBerlinCitizen | theberlincitizen.com Thursday, May25, 2023 A23
BHS
Welcome to On The Menu. Let us help you find the perfect place to eat. Whether it’s a celebration, date night, or just grabbing a bite to eat, this list of local restaurants is sure to satisfy your taste buds.
Café
Berlin High School Class of 2023 salutatorian Laura Munch andvaledictorianMichaelLanteri. Berlin High School, Facebook
Adelphia
476 Washington Avenue North Haven, CT 06473 203-535-0149
Find great local eats - MenusCT.com Athena II Diner 320 Washington Ave, North Haven, CT 06473 203.239.0663 www.athena2diner.com Open 24 hours a day 7 days a week. Serving breakfast, lunch, & dinner. Accept Q Cards. Serving North Haven for 30 years. Daily specials and full liquor available. Colony Diner 611 N Colony Road Wallingford, CT 06492 (203) 269-9507 colonydiner.com Wallingford’s place to go for oldfashioned breakfast, lunch, and dinner. Proudly serving up delicious and hearty meals daily. Voted Best Diner 4 years running by Record Journal. Open seven days. Breakfast served all day. ATTENTION: RESTAURANT OWNERS! To advertise your restaurant to 269,000 weekly readers Call us 203-317-2312 Matt’s Pro Plumbing www.mattsproplumbing.com 860-922-9976 • Fast, dependable, friendly service • Full plumbing & carpentry service • Free estimates over the phone! NO SMALLTOOJOB Includes demo, haul away, sub-floor, plumbing, Kohler fixtures, installations of Kohler tub or shower enclosure, fiberglass units+ $3,999 Licensed&Insured, Lic# 2 82931 The Bathroom Remodeling Specialist We offer tub and shower conversions If you need a tub or shower replaced, CALL THE TUB MAN 256932
owned/operated.

Flags

from the new combined Troop 441 and their parents, who volunteered to help the commission, on Friday, May 19, at the Maple Cemetery. This is normally done on Saturday Armed Forces Day, but because of rain in the forecast for Saturday, it was rescheduled for early Friday evening.

Maple Cemetery is a classic New England rural cemetery

with graves dating back to the 18th century and has about half of all the town’s veterans’ graves.

We placed the flags at over 550 grave sites and the Boy Scouts got to see and learn about the many wars our veterans have fought in for the freedoms we enjoy today, as well as learning the meaning of Armed Forces Day.

The Berlin Veterans Commission would like to recognize and thank Scoutmaster Tony deRito, the Scout lead-

ers, and the Boy Scouts of Troop 441. Without their help, it would have taken two to three hours longer to place these flags.

If any veteran’s grave was missed, please contact the Veterans Commission by mail at Berlin Town Hall, 240 Kensington Road, Berlin, CT 06037.

To learn more about the history of the wars and see how many military men and women lost their lives, so we can enjoy the freedoms we have today, come to the Berlin Veterans Memorial Park and take a stroll around the “America’s Wars Walkway. ” America is Free, Because of the Brave. God Bless America!

Memorial

ment of Veteran Affairs’ fact sheet, the inspiration for the National Moment of Remembrance came from a group of children who were touring Washington, D.C. When they were asked what Memorial Day meant to them, they replied, “That’s the day the pools open!”

Those youngsters can be forgiven for not understanding the true meaning behind the holiday, a May 2000 Gallup poll revealed that only 28 percent of Americans actually did.

Originally known as Decoration Day, what would be known as Memorial Day originated in the years following the Civil

War and became an official federal holiday in 1971.

By the end of the 19th century, Memorial Day ceremonies were being held throughout the nation. It was not until after World War I, however, that the day was expanded to honor those who have died in all American wars.

In his 1914 Memorial Day address, President Woodrow Wilson said of fallen soldiers, “They do not need our praise. They do not need that our admiration should sustain them. There is no immortality that is safer than theirs. We come not for their sakes but for our own, in order that we may drink at the same springs of inspiration from which they themselves drank.”

Wilson continued, “Therefore this peculiar thing comes about, that we can stand here and praise the memory of these soldiers in the interest of peace. They set us the example of selfsacrifice, which if followed in peace will make it unnecessary that men should follow war any more.”

While many Americans observe Memorial Day by visiting cemeteries or attending patriotic ceremonies, for the majority of us, the holiday is not a solemn occasion; it’s just a day off, a cause for revelry.

Certainly, we should enjoy some relaxation Monday, but let’s also take time to ponder the meaning behind the holiday, perhaps at 3 p.m., the National Moment of Remembrance.

Think about the 1.2 million Americans who went off to war and never came home. It’s the least we can do to honor their memory.

TheBerlinCitizen | theberlincitizen.com A24 Thursday, May25, 2023
From A1 From A21
RECYCLE YOUR OLD NEWSPAPERS Please & Thank you. Since 1867 We Are Proud To Be Your Local News and Advertising Source Peter D. L. Kern, President | Broker All the resources of a large firm with local, personalized service. Office Hours: 10:30am-5:00pm (After hours available by Appointment) 24/7 979 Farmington Avenue Berlin, CT 06037 (860) 828-5374 kernmtg.com NMLS #11142 Company NMLS #1827309 pkern@kernmtg.com Oficial de Prestamo de habla Espanol Todas revelaciones y formas son en Inglés. R256978 • FHA Loans - Little as 3.5% down payment • Renovations loans for FHA, VA and Conventional • Multi Family • Jumbo loans with minimum 5% down payment • Portfolio loan - as low as 5% down and no mortgage insurance • VA loans - 100% financing • Conventional loans for as little as 3% down payment • Investment loans - low to no document loans • Loans with Credit issues and credit scores as low as 500 available • Reverse Mortgages All loans are subject to credit approval including credit worthiness. insurability, and ability to provide acceptable collateral. Not all loans or products are available in all states or counties. Kern Mortgage Co., Inc. is not affiliated with any government agency. NMLS 1827309 Mortgage Broker only not a Mortgage Lender or Correspondent Lender Cornerstone R eal e state llc Derek Jutras Broker/Owner R258539 Office (860) 828-7877 Fax (860) 828-5797 Cell (860) 883-7091 E-mail: djutras@sbcglobal.net 860-828-7877 951 Farmington Ave, Berlin, CT “Trust the Experts” SUDOKU ANSWER CROSSWORD ANSWER R256091 v4 BATMEN! 260136

Holiday

Town departments will be closed Monday, May 29, in observance of Memorial Day. There will be no trash/ recycling pick-up on May 29. Trash/recycling will be picked up one day later.

Memorial Day

Berlin's Memorial Day parade sets off at 9 a.m. Monday, May 29 and will travel down Farmington Avenue and turn left onto Massirio Drive, passing Veterans of Foreign Wars Post 10732.

The parade will then turn left onto Veterans Way and end at Veterans Memorial Park.

A flyover by the Connecticut Air National Guard will occur during the parade.

A ceremony at Veterans Memorial Park ceremony will take place from 9:45 to 10:05 a.m.

Matthew McNally, Berlin’s

chief of police and a veteran of the United States Marine Corps, will be the guest speaker.

In the event of rain, the ceremony will be held at 9 a.m. at the Veterans of Foreign Wars Post 10732, 152 Massirio Drive.

Local theater

The Theatre Guild of Berlin’s first presentation, “The Best of Broadway,” is scheduled

to take place in July. Auditions, open to singers age 16 and up, will be held in June. The group can be reached at tgb.2023@gmail.com.

“My

Chris

TheBerlinCitizen | theberlincitizen.com Thursday, May25, 2023 A25
Home of High Quality & Low Prices! FREE STORAGE Kensington Dry Cleaners 314 New Britain Road• Kensington 860-829-5226 • Dry Cleaning • Shirt Laundering Services • Tailoring & Alterations • Rugs & Leather • Drapes, Quilts & Blankets • Waterproofing R256974v2 Interior - Exterior Painting Power Washing Deck and Porch Refinishing Free Consultations 203.640.3464 paintingbyrenewal@gmail.com License# 0667603 R260126v2 Discounts for veterans, seniors, educators and first responders Over 35 years experience Please call for corrections at 203-317-2308 - after 5 pm call 203-317-2282 Ad#:1286004 Pub:RJ Date:05/23/13 Day:THU Size:3X4 Cust:HOUSE AD ACCOUNT Last Edited By:PAG on 5/20/13 12:24 AM. Salesperson:200 Tag Line:MUST RUN FLIP CAMCORDER WINNER Color Info:FULL 1286004 - Composite 1286004 Congratulations to Holly Roberts of Meriden & DAFFODIL FESTIVAL iPad mini Prize Winner Congratulations to Chris Brosnan! Chris is our Daffodil Festival 2023 Contest winner and he takes home a $100 gas card courtesy of the Record-Journal.
In Brief
wife and I stopped
your booth
festival
always
to
-
Daffodil Festival 2023 Contest Winner And remember to keep an eye out for the Record-Journal tent at other local events for even more contests! 261108 Brilliant Basement Waterproofing, LLC Basement Waterproofing Services • Over 36 Years Combined Experience. Fully Transferable Written Guarantee*, Sump Pumps, Pumps Eliminated in Most Homes. Deal Direct With Owner - No Middle Man, Crawl Spaces HIC. 0653192 • CALL US 860-598-8091 D801038_V3 Brilliant Basement Waterproofing, LLC www.brilliantbasementwaterproofing.com Basement Waterproofing Services Over 36 Years combined experience. Fully Transferable Written Guarantee*, Sump Pumps, Pumps Eliminated in most homes. Deal Direct with owner - no middle man. French Drains, Gravity Drains, Landscaping Drainage, Gutter Downspout Drains New Bulkheads, Egress and Basement Windows, Basement Finishing FREE Estimates *written details available upon request HIC. 0653192 • CALL US 860-598-8091 D801038_V3 Brilliant Basement Waterproofing, LLC www.brilliantbasementwaterproofing.com Basement Waterproofing Services Over 36 Years combined experience. Transferable Written Guarantee*, Sump Pumps, Pumps Eliminated in most homes. Deal Direct with owner - no middle man. French Drains, Gravity Drains, Landscaping Drainage, Gutter Downspout Drains New Bulkheads, Egress and Basement Windows, Basement Finishing FREE Estimates written* details available upon request HIC. 0653192 • CALL US 860-598-8091 * written details available upon request R257758 www.brilliantbasementwaterproofing.com 1271998 “Quality Service You Can Count On” R256977 CREDIT CARDS ACCEPTED CT Lic. # 180640 SERVICE DIRECTORY
at
at the daffodil
to comment about not minding the paper coming in the mail. My Wife Sue
wants
tell folks when they are doing a good job!!”

TOP CASH PAID For any Toyota any condition, running or not, crashed okay. Will take other makes and models. (203) 600-4431.

TOP CASH PAID

For Junk or unwanted vehicles, Toyota’s etc. Please call Mike @ 203284-8562 8am-5pm.

SCHOOL BUS DRIVERS

Needed for Southington/ Meriden/Berlin/Rocky

Hill - Must be 21yrs or older and possess a driver’s license for at least 3yrs – Paid training to acquire CDL license and endorsements available –The opportunity to bring your children to work, No Childcare$$ - Contact Sheila at New Britain Transportation (860) 8280511 ext. 221 or visit us at, 257 Woodlawn Rd., Berlin, CT

VETERINARY ASSISTANT

Capable of answering phones, animal restraint, assisting in medical procedures and surgery. Experience preferred. (860) 828-4717.

PREMIUM SCREENED TOPSOIL

$30/yard

. Top Soil . Compost . . Wood Chips . FOR SALE. Catering to small deliveries. Call Bob (203) 415-0723

TREE LENGTH FIREWOOD CALL FOR DETAILS

203-238-2149

1, 2, 3 CASH FOR YOUR ANTIQUES & JEWELRY

- Call Todd Shamock at 203-494-1695.

A-1 SERVICE - Is what you will receive from me when purchasing your Old Costume & Fine Estate Jewelry. Napier, QVC, ETC, Jewelry Wanted! “I Pay Top Cash For Your Grandma’s Costume & Fine Jewelry Stash!” I’ll come to you. Julie, 203.443.9602.

ALWAYS BUYING CASH PAIDVintage Electronics, Musical Instruments, Amps, Ham Equipment, HiFi, Radios, CB, Guitars, Audio Equipment, Antiques. 860-707-9350

GRASSY HILL AUCTIONS, - an Estate Sale, Liquidation, Attic & Basement Cleanout Company is Always Buying and providing services all over Connecticut. These are just a FEW of the things we are looking for: Antiques, Collectibles, Old/ Vintage Toys, Musical Instruments (Saxophones, Trumpets, Violins, Flutes, Clarinets, Trombone & SO MUCH MORE) Advertising Items, Wristwatches (Broken or Not), Pocket Watches, Tools (Machinist, Woodworking, & MORE) Doorstops, Clocks, Oil Paintings, Old Signs, Old Photographs, Old Postcards, Brewery Items, Hunting & Fishing, PEZ Dispensers, Costume Jewelry, Broken Jewelry, Gold & Silver Jewelry, Gold & Silver Coins, Military Items, Swords & Bayonets, Helmets & Patches, Medals & Uniforms, Pocket Knives, Lighters & Pipes, Fountain Pens, Mechanical Pencils, Fraternal Order Items, Religious Items, Industrial Items, Winchester Items, Sikorsky Items, Pratt & Whitney Items, Colt Items, Native American Items, Vintage Electronics, Slot Cars, Toy Trucks, Matchbox & Hotwheels, Barbie’s, Folk Art, Statues, Bronzes, Trains, Cameras, Mid Century Modern Furniture, Straight Razors, Shaving Items, Political Items, Comic Books, Sports Cards & Autographs…& THE LIST GOES ON! So please give us a call at your earliest convenience. Grassy Hill Auctions 203-868-1816 - Grassy HillAuctions.com

PREMIER ESTATE JEWELRY - Is interested in buying your fine jewelry, watches, coin collections, silver flatware, and costume jewelry. Call Bill, (203) 4942496.

WANTED Individual firearms, collections & estates including military & related items.Federally licensed firearms dealer. Gunsmith, appraisals, Richard Pleines, (860) 663-2214.

MATERIALS DISTRIBUTION

Screened Topsoil $30/ per yd; 2.5” screened gravel, $18 per yd; Sand$18 per yd; Millings-$22 per yd; Screened Millings $30 per yd; $100 minimum delivery. No pickup truck service. Minimum 16 yd pickup at our yard. Call Jim @ 860-9824819 for delivery

ANTIQUES WANTEDComic books, toys, adv. signs, military items, motorcyles, mini bikes, etc. All items considered, appraisal & estate sale services, incl. clean-outs. 40 years exp. Call or text, Gary at 203-237-4124.

TheBerlinCitizen | theberlincitizen.com A26 Thursday, May25, 2023
delivered, 3 yd, $100 min. delivery Call Jim 860-982-4819 TIMELESS TREASURES ESTATE AUCTIONSIs looking to purchase estate contents. From single items to entire estates. Clean-out services available. Call Bill (203) 494-2496. BUYING MACHINIST TOOLBOXES - Tools & tooling, contents of machine shops, home workshops and small lathes. Call anytime 860-985-5760 BUYING ALL - Costume Jewelry, Old Watches, Gold Jewelry, Silver Jewelry, Gold & Silver Coins, Sterling Flatware, In Any Condition. Please Call Jude M. Dichele @ (203) 8681816. ANTIQUES - Always buying old; Toys, military, jewelry, art, watches, musical instruments, signs, arcade games, cameras, pre 1970 sports memorabilia, plus more. One item or entire estate contents. Call 860718-5132. Classified ads are the best way to find what you need. They are also the best way to sell your services, goods or items. Call Monday thru Friday 8:30am - 5pm 203-238-1953 Looking for a friend? Find litters of critters in our Classifieds. Looking for a friend? Find litters of critters in Classifieds. Autos Wanted Wood Fuel Heating Equipment Wanted To Buy Wanted To Buy Wanted To Buy Wanted To Buy Lawn and Garden Help Wanted Lawn and Garden Reach over 310,000 readers. Call us today 203-238-1953 Legal Notices & Classifieds RJ MEDIA GROUP | Record-Journal | myrecordjournal.com | HOMEBASE Digital | Berlin Citizen | Cheshire Citizen | North Haven Citizen | Plainville Citizen | Southington Citizen | Town Times | The Post

GARY WODATCHDemolition Svs Sheds, pools, decks, garages, debris removal. Quick, courteous svc. All calls returned. Ins. #566326. Cell, 860-558-5430

CARPENTRY

Repairs, Decks & Porches, Sheetrock & Taping Water Damage Repairs. Free Est. Ins. MC & Visa. Call Bill (203) 901-2136. CT. Reg. # 0647093

DECKS & PORCHES

Give some new life to your old decks and porches. We can repair or replace stairs, deck boards, railings. We also construct new decks. HIC#647093 Insured. Call Bill for a free estimate, (203) 901-2136.

GUTTERS PLUS 25+yrs. Exp. Call today for Free estimate. 203-440-3535 Ct. Reg. #578887

JUNK REMOVAL

Hot Tub Removal, Furniture, appliances, entire contents of: homes, sheds, estates, attics, basements, garages & more. *SPRING YARD Clean-ups* FREE ESTIMATES. LIC & INS. DUMPSTER RENTALS 203-535-9817 860-575-8218

IF YOU Mention This Ad SPRINGYard Clean-Ups Brush, branches, s torm damage **JUNK REMOVAL** Appl’s, Furniture, Junk, Debris, etc WE CAN REMOVE ANYTHING Entire house to 1 item removed! FREE ESTIMATES Sr. Citizen Discount LIC & INS. DUMPSTER RENTALS 203-535-9817 860-575-8218

SPRING CLEANUPS

JUNK REMOVAL Tree Removal, Fence Work & more! No job too small or large. 860.719.3953

LUNO MASONRY - We deal in all types of masonry, repairs & new projects, decks. Refs. avail. Free ests. Lic. HIC0643330 & Ins. Call 203.770.9273.

W. BOOBER MASONRY -

Over 35 Years Experience

All Types of Masonry CT License #626708 (203) 235-4139

GOOD RATES BEST SERVICE Fully ins. Free Estimate. Call Ed, We’ll take it to the dump for you!

Let Us BEAR Your Junk! Junk Removal in CT

GUTTERS DON’T WORK

If they’re dirty! For gutter cleaning, Call Kevin (203) 440-3279 Fully ins. CT# 569127

JT’S LANDSCAPING

LLC - Spring CleanUps, we specialize in weeding all types of beds, mulching, top soil work, pruning hedges & shrubs, & all your landscape needs. Residential & commercial. Lic. #616311. Call today for free estimate, 203-213-6528.

OVER 35 YRS EXP

Stonewalls, patios, sidewalks, chimneys, pool areas, fireplaces, fire pit steps. Free est. 860.274.4893.

RT RELOCATION

Your moving and storage specialists. Call for a free estimate. 833-668-3978.

A pressureless house washing system can save you money, ask how! The Power-Washing Kings. House & roof washing, decks, patios, etc. Others Wash We Clean! 860.839.1000 thepowerwashing kings.com

POWER WASHING Is Spring Cleaning on THE OUTSIDE FREE Estimates #569127 Call Kevin 203-440-3279

PATIOS, WALKWAYS, Stonewalls, Steps, Concrete, Repairs, Etc. Free Ests. #0648556 203.808.6886 arnoldsmasonry.com

#1 PAINTER’S EDGE Ext. & Int. Painting. Sheetrock.Popcorn Repair. Wallpaper Remv’l. Decks. 25 yrs exp. Free est. Sr. disc. #0656136. Ins. 860.538.5520

BLACK MAGIC - Sealcoat, asphalt repair, line striping, stone drives instal’d.

#1 PAINTER’S EDGE MOBILE WASH Chemicals safe for house & plants. House wash, roof cleaning, decks. 25 yrs. exp. Sr Disc. #0656136 Ins. 860.538.5520

GARY WODATCH - Tree Removal. All calls returned. CT# 620397. Quick courteous service. 860-558-5430.

TREE BROTHERS TREE EXPERTS - Specializes in all aspects of tree removal and trimming with twenty five years of experience. We offer a free quote and military and first responder discount. Call 203-5122453.

TheBerlinCitizen | theberlincitizen.com Thursday, May25, 2023 A27
HIC0666763. Ins. 860.997.0637. ALEX EUROPEAN MASONRY - 30 yrs. exp. Patios, ret. walls, steps, brick, stone, chimneys. Lic#580443. 203-2320257 or 203-596-0652 HOME DOCTOR - 48 yrs exp. Odd jobs & remodeling, former US Navy, 15 yrs, #640689, 203.427.7828.
A-1 QUALITY POWERWASHING Low Rates Call Dennis 203.630.0008 Roof Repair or Replacement, Chimney Repair, Skylight Replacement. Free est. CT #0651199 (860) 877-3006 TEC ELECTRICAL Service LLC All Phases of Electrical Work. 24 hr. Emergency Service. Small Jobs Welcome. 203.237.2122 Insurance claim.storm damage.roofing.siding. gutter.chimney flashing. Office:203.754.3071 Cell:203.510.3830 Stormshieldct@gmail. com HIC.0664452 Call Monday thru Friday 8:30AM - 5PM Whether it is a lost ring, wallet or a Parrot named Oliver, a Classified ad can help track it down. A Classified ad is an easy way to sell your merchandise, and it’s easy on your wallet, too. STUFF TO SELL? Call Us. 203-238-1953 FACEBOOK.COM/ RECORDJOURNAL NEWSPAPER TWITTER.COM/ RECORD_JOURNAL INSTAGRAM.COM/ RECORDJOURNAL Masonry Gutters Masonry Electrical Services Moving and Storage Paving Gutters Painting Wallpapering Handyperson Junk Removal Landscaping Attics and Basements Cleaned Tree Services Decks Junk Removal Power Washing Roofing Carpentry Landscaping Power Washing Businesses & Services 203-238-1953 Get Listed. Get Calls. Get Results. Landscaping
GARY WODATCH Hedge trimming. Trim overgrown properties. Calls returned. #620397. 860.558.5430

Connecticut’s Newest College will be a Hispanic-Serving Institution

Connecticut’s 12 community colleges will finish merging in July to become Connecticut State Community College (CT State). The new school will be eligible to be designated a Hispanic-Serving Institution, or HSI. Prior to the merger, Capital, Gateway, Naugatuck Valley and Norwalk Community College were designated as HSIs.

So, what is a Hispanic-Serving Institution? As defined by the US Department of Education, an HSI is a college or university whose enrollment comprises more than 25% Hispanic/Latino students. In the US, there are currently more than two million Hispanic students enrolled in 451 HSIs across 24 states. So while only 19% of all higher education institutions qualify, 62% of all Latino undergraduates are enrolled in HSIs.

The HSI designation is more than a reflection of a school’s enrollment, however; it’s a commitment to equity for Hispanic/Latino students and advancing their success. On a large scale, this means having access to federal grant programs that enhance and strengthen HSIs.

At CT State, being an HSI means paying particular attention to the unique needs of the state’s Hispanic/Latino college students.

seeking the HSI and MSI (Minori-

La Más Nueva Universidad De Connecticut Será Una Institución

Que Sirve a Los Hispanos

ty-Serving Institution) status is consistent with our mission to serve all Connecticut residents. At CT State, we recognize that where you come from (e.g.: geography, culture, identity) is a strength that can be catalyzed to help our students feel that CT State is where they belong. In turn, that sense of belonging is what helps our students reach their goals.”

In 2020, Capital Community College received a five-year, $3 million grant to fund the Cultivating All-Inclusive Student Achievement (CASA) program. The program supports career and financial planning from enrollment through graduation. The program also aids faculty and staff in incorporating high-impact success strategies into their courses and student services. It assists students returning to college semester-to-semester and it increases the number of Hispanic students earning a degree or certificate. The program also has a cultural enrichment component, “Herencias Latinas,” that facilitates arts and humanities programming throughout the academic year.

There are more than half a million residents of Connecticut who are of Hispanic/Latino descent, and CT State is proud to serve more than 10,000 of them each semester. To learn more about CT State, visit CTState.edu.

Las 12 universidades comunitarias de Connecticut completarán su unión en julio, cuando será llamada Connecticut State Community College (CT State). La nueva escuela será elegible para ser nombrada una Institución de Servicios para Hispanos (Hispanic-Serving Institutions), o HSI. Antes de la unión, Capital, Gateway, Naugatuck Valley y Norwalk Community College estaban nombradas como instituciones HSI. ¿Así que, qué es una Institución de Servicios para Hispanos? Como lo define el Departamento de Educación de los Estados Unidos, un HSI es un colegio o universidad, donde más del 25% de sus estudiantes matriculados son hispanos/latinos. En los Estados Unidos, actualmente hay más de dos millones de estudiantes hispanos matriculados en 451 instituciones HSI en 24 estados. Así que, aunque solo el 19% de todas las universidades califican, el 62% de los estudiantes universitarios están matriculados en instituciones HSI.

Sin embargo, la designación de un HSI es más que solo una reflexión de la inscripción de la universidad; es un compromiso de equidad para los estudiantes hispanos/latinos y en el avance de su éxito. A mayor escala, esto significa el acceso a programas de subvenciones federales para mejorar y fortalecer las instituciones HSI.

En CT State, ser una institución HSI significa que se presta particular atención a las necesidades únicas de los estudiantes universitarios hispanos/latinos. Segun el Dr. John Paul Chaisson-Cardena, Vicepresidente de Diversidad, Equidad e Inclusión, “Nuestra intención en lograr el estatus como institución HSI o MSI

(Institución que Sirve a la Minoría) es consistente con nuestra misión de servir a todos los residentes de Connecticut. En CT State, reconocemos que de donde usted viene (ej. Geografía, cultura, identidad), es un punto fuerte, el cual puede ser el catalizador que le ayuda a nuestros estudiantes a sentir que CT State es el lugar donde pertenecen. Sucesivamente, ese espíritu de pertenencia es lo que ayuda a nuestros estudiantes a lograr sus metas.”

En 2020, Capital Community College recibió una subvención de $3 millones a lo largo de un periodo de cinco años, para financiar el programa Cultivating All-Inclusive Student Achievement (CASA). El programa apoya la planificación de carrera y financiera, desde la matrícula hasta la graduación. El programa también ayuda a los miembros de facultad y el personal a incorporar estrategias de éxito de gran impacto en sus cursos y en los servicios para los estudiantes. Ayuda a los estudiantes que regresan a la universidad semestre por semestre y aumenta el número de estudiantes hispanos obteniendo un título o certificado. El programa también tiene un factor de enriquecimiento cultural, “Herencias Latinas,” el cual facilita programación de artes y humanidades a través del año académico.

Hay más de medio millón de residentes de ascendencia hispana/ latina en Connecticut, y CT State está orgulloso de servir a más de 10,000 de estos residentes cada semestre. Para aprender más acerca de CT State, visite a CTState.edu.

TheBerlinCitizen | theberlincitizen.com A28 Thursday, May25, 2023
SPONSORED CONTENT 253335
After decades of helping to expand student horizons, we’re expanding ours.
EXPANDING HORIZONS LEARN MORE ctstate.edu
Connecticut’s twelve community colleges are unifying into CT State Community College. One application opens the doors to more than 12 locations around the state. Discover a full landscape of opportunities with more offerings than ever before.

Turn static files into dynamic content formats.

Create a flipbook
Issuu converts static files into: digital portfolios, online yearbooks, online catalogs, digital photo albums and more. Sign up and create your flipbook.