SALUD 2025

Page 1


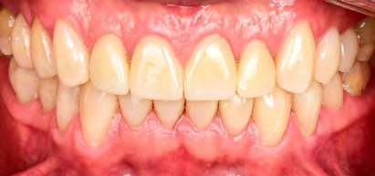
"Excelencia y visión integral en la implantología dental"

Directorio

Carmenchu Torres Vilet

Presidenta Ejecutiva de Grupo Plano Informativo

Adriana Zavala

Coordinación Editorial QueTal Magazine

Enrique Pérez Zarco

Eugenio Morales

Arturo Carmona Arte y Diseño

Christian Navarro Director Comercial Grupo Plano Informativo

Araceli Zuñiga Martínez

Juan Villanueva Herrera

Asesores Comerciales

Ximena Noyola

Coordinación de Fotografía

Ximena Araiza Velázquez

Cynthia Ortiz Redes Sociales

Diego Renovato Edición de Video

Armando Castro

Daniela Ríos

Juan Hernández Fotoreporteros

Contáctanos: ventas@quetalvirtual.com

Tel. (444) 833 69 19 con 5 líneas

Editorial

En un mundo donde la información abunda pero el tiempo escasea, encontrar atención médica de calidad, confiable y cercana se vuelve una prioridad. Por eso, en esta edición especial de Salud 2025 de QueTal Magazine, te damos la bienvenida a una guía única y cuidadosamente elaborada con el propósito de acercarte a los mejores médicos y servicios especializados de nuestra ciudad.

Aquí encontrarás perfiles destacados de profesionales de la salud con una sólida trayectoria, así como clínicas y centros médicos que combinan tecnología de vanguardia con un trato humano y personalizado. Desde medicina general hasta especialidades como cardiología, dermatología, ginecología, pediatría, salud mental y rehabilitación. Esta edición es una herramienta pensada para que tomes decisiones informadas sobre tu bienestar y el de tus seres queridos.

Porque la salud no puede esperar y elegir bien hace la diferencia, te invitamos a recorrer estas páginas con la confianza de que aquí encontrarás todo lo que necesitas para sentirte en las mejores manos.

Bienvenidos a un espacio donde el bienestar es prioridad y la excelencia médica está al alcance de todos.

Carmenchu Torres Vilet

CEO de Grupo Plano Informativo

Doctor en portada

Dr. Ismael Espinosa García, Especialista Prótesis e Implantes Dentales.

Hair stylist

Barbería La Logia

Locación

Estudio Que Tal

Portada

Juan Hernández

QueTal Magazine de San Luis. Editor responsable: Leyre Hurtado Abaunza. Número de Certificado de Reserva otorgado por el Instituto Nacional del Derecho de Autor: 04-2023-051712040700-102.

Número de Certificado de Licitud de Título: 12596. Número de Certificado de Licitud de Contenido: 10168.

Domicilio de la publicidad y distribución: Julián Carrillo #120, Planta Alta, Colonia Del Valle. C.P. 78200, San Luis Potosí, S.L.P. Tel. y Fax (444) 833 69 19 y 833 69 21

Esta Publicación está protegida bajo los derechos de autor. El contenido que aparece en ella, incluyendo, aunque sin

limitarse a ellos, texto, gráficos, datos, imágenes fotográficas, ilustraciones y la selección y disposición de los mismos, son propiedad de QUE TAL MAGAZINE DE SAN LUIS, S.A., de sus colaboradores, articulistas, fotógrafos y anunciantes. Por lo que está prohibida la reproducción total o parcial de su contenido, sin el consentimiento de sus titulares. El punto de vista de los colaboradores, articulistas, fotógrafos y anunciantes, no representan ni reflejan necesariamente el punto de vista de QUE TAL MAGAZINE DE SAN LUIS, S.A., el cual es de la estricta responsabilidad de cada uno de ellos.

Índice

04

¿Qué es la resistencia antimicrobiana y cómo cuidarnos?

34

Enfermedades crónicas en México y cómo controlarlas

54

Suplementos alimenticios: lo que debes saber antes de tomarlos

La relación entre una buena alimentación y salud bucal 76

06

Chequeos médicos anuales que debemos realizarnos según la edad

42

¿Por qué contratar un seguro de gastos médicos mayores?

Checklist anual para visitar al dentista 68

82

¿Cuándo debo acudir al psiquiatra y por qué?

Apps para monitorear tu salud 86

Qué es la resistencia y cómo cuidarnos ANTIMICROBIANA

La resistencia antimicrobiana ocurre cuando los microorganismos como bacterias, virus, hongos o parásitos, evolucionan y se vuelven resistentes a los medicamentos diseñados para eliminarlos, como los antibióticos. Esto significa que esos medicamentos ya no funcionan tan bien, lo que dificulta el tratamiento de infecciones y puede poner en riesgo nuestra salud.

Hoy en día es un problema de salud pública al que se enfrenta la Organización Mundial de la Salud.

1

¿CÓMO CUIDARNOS Y PREVENIR LA

RESISTENCIA ANTIMICROBIANA?

Usar medicamentos solo cuando un médico lo indique

No tomes antibióticos ni otros antimicrobianos sin receta ni recomendación profesional.

2

3

Completar el tratamiento

Si te recetan un medicamento, termina todo el tratamiento, incluso si te sientes mejor antes.

No compartir medicamentos

Cada persona necesita un tratamiento específico, y compartir puede ser peligroso.

4 Practicar una buena higiene

Lavarse las manos con frecuencia, mantener limpias las heridas y cuidar la higiene personal ayuda a evitar infecciones.

5 Vacunarse

Las vacunas previenen enfermedades que podrían requerir tratamiento con antimicrobianos.

6

Evitar el uso innecesario de antibióticos en animales y alimento s

En resumen, la resistencia microbiana es un problema serio que afecta nuestra salud y la de las futuras generaciones. Si seguimos usando mal los antibióticos, estos dejarán de funcionar cuando realmente los necesitemos. La buena noticia es que todos podemos hacer algo. Con pequeños cambios en nuestros hábitos y trabajando juntos, podemos ayudar a que los antibióticos sigan siendo efectivos por mucho más tiempo.

CHEQUEOS MÉDICOS ANUALES

QUE DEBEMOS REALIZARNOS SEGÚN LA EDAD

Nuestra salud es lo más valioso que tenemos, y protegerla está en nuestras manos. Hacer ejercicio y comer bien son grandes aliados, pero muchas veces olvidamos algo igual de importante: los chequeos médicos. Realizar controles de manera regular no solo nos ayuda a detectar a tiempo cualquier problema, sino que también nos da tranquilidad y nos permite tomar decisiones más conscientes sobre nuestro bienestar. Prevenir es siempre mejor que curar, y un simple chequeo puede marcar la diferencia.

De 0 a 12 años

NIÑOS

Chequeo pediátrico regular: En esta etapa es muy importante que se haga un monitoreo del crecimiento, desarrollo y vacunación conforme al calendario oficial de la Secretaría de Salud.

Pruebas neonatales: Son básicas el tamiz metabólico, audición y visión.

Exámenes de rutina: Hemograma completo, el cual consiste en un recuento de glóbulos blancos y rojos, hemoglobina y plaquetas; análisis de orina y evaluación del desarrollo motor, es decir, la capacidad para controlar y coordinar los movimientos del cuerpo.

Examen dental: cada 6 meses a partir del primer diente.

De 13 a 19 años

ADOLESCENTES

Examen físico general: Revisión de peso, altura, presión arterial y frecuencia cardíaca.

Salud mental: Evaluación para detectar síntomas de ansiedad, estrés o depresión.

Revisión de piel: acné y lunares.

Mujeres: Examen ginecológico y orientación sobre salud reproductiva.

Hombres: Revisión testicular y orientación sobre salud reproductiva.

Infecciones de transmisión sexual (ITS): Pruebas de VIH, clamidia y sífilis si hay riesgo.

Revisión odontológica: cada 6 meses.

Vacunas: VPH, refuerzos de tétanos y influenza anual.

De 20 a 39 años

ADULTOS JÓVENES

Chequeo físico general: Evaluación anual de peso, presión arterial, colesterol y glucosa.

SALUD REPRODUCTIVA

Papanicolaou: cada 3 años (de los 21 a los 29 años) o prueba de VPH cada 5 años (de los 30 a los 65 años).

Autoexploración: mamaria / testicular. Pruebas de ITS: si hay vida sexual activa.

Revisión odontológica: cada 6 meses.

Salud mental: Detección de trastornos como ansiedad y depresión.

Vacunas: Refuerzo de tétanos, hepatitis B y influenza.

Función hepática y renal.

Exámenes de sangre

ADULTOS

Chequeo físico anual: Incluye análisis de sangre, presión arterial, colesterol y glucosa.

MUJERES

Mujeres: A partir de los 40 años, cada 1-2 años.

Densitometría ósea: A partir de los 50 años o antes si hay factores de riesgo.

HOMBRES

Examen de próstata: A partir de los 50 años, o antes si hay antecedentes familiares.

Colonoscopia: A partir de los 50 años, cada 10 años; o antes si hay antecedentes familiares de cáncer colorrectal.

Revisión odontológica: cada 6 meses.

Vacunación: Contra la gripe, neumococo y herpes zóster.

Revisión neurológica: Para evaluar la memoria y prevenir enfermedades neurodegenerativas como el Alzheimer.

Exámenes cardiacos: Para evaluar el estado del corazón y los vasos sanguíneos.

ADULTOS MAYORES + DE 60 AÑOS

Chequeo médico integral: Evaluación periódica para detectar enfermedades crónicas como diabetes, hipertensión y dislipidemia.

Evaluación auditiva y visual: Control regular para prevenir la pérdida auditiva y enfermedades oculares como cataratas o glaucoma.

Control de osteoporosis: Mayor riesgo de fracturas y debilitamiento óseo.

Revisión neurológica: Para evaluar la memoria y prevenir enfermedades neurodegenerativas como el Alzheimer.

Vacunas: neumococo, influenza anual, herpes zóster y COVID-19 (refuerzos).

Exámenes cardíacos: Para evaluar el estado del corazón y los vasos sanguíneos.

Revisión cada: 6 meses.

Evaluación de medicamentos: polifarmacia.

CÓMO ELEGIR AL MEJOR MÉDICO PARA ESTOS

CHEQUEOS

Verifica sus credenciales y especialidad

Busca un médico de medicina general o un médico familiar.

Asegúrate de que esté certificado y tenga cédula profesional válida. Puedes revisar en la página de la Secretaría de Salud o asociaciones médicas.

Accesibilidad y ubicación

Elige un médico cercano a tu casa o trabajo para facilitar las citas.

Verifica que tenga horarios compatibles con tus actividades.

Comunicación y confianza

Es muy importante que te sientas cómodo hablando con él o ella.

Debes escuchar tus preocupaciones y explicar los resultados claramente.

Servicios que ofrece

Verifica si cuenta con laboratorio propio o convenios para exámenes, o si te puede referir a centros confiables.

Revisa si el consultorio cuenta con equipo básico para exámenes rápidos.

Costo y cobertura médica

Si tienes seguro médico privado o público, verifica qué médicos están en tu red de cobertura.

Consulta los costos y si ofrecen facilidades de pago si no tienes seguro.

Primera consulta

Puedes hacer una primera consulta como prueba para evaluar la atención y confianza antes de comprometerte a un chequeo anual completo.

DR. ANDRÉS GAYTÁN GARCÍA DE ALBA

Médico internista y reumatólogo certificado

Ayudo a personas con enfermedades crónicas y dolor persistente a recuperar su calidad de vida.

Especializado en el diagnóstico y tratamiento de:

Artritis reumatoide y lupus

Dolor articular persistente

Fibromialgia y osteoporosis

Enfermedades autoinmunes

Gota, ácido úrico elevado

Dolor sin causa aparente

Ortopedista certificado para realizar cirugía de rodilla asistida con Robot ROSA de Biomet.

Durante su formación en México, Alemania, Francia, España, Estados Unidos y Argentina, se entrenó con las técnicas quirúrgicas más vanguardistas y efectivas para ofrecer una atención humana, integral y de calidad a sus pacientes.

DR. ARTURO EMILIO AGUILAR

TRAUMATOLOGÍA Y ORTOPEDIA UASLP

Alta especialidad en artroscopia y cirugía del deporte.

Cirugía de hombro, mano, rodilla y nervio periférico.

TU VISIÓN EN MANOS EXPERTAS

En Oftacare cuidamos tu salud visual con experiencia, tecnología de vanguardia y calidad humana.

Áreas de atención especializada:

Dr. Enrique Noyola Rodríguez

Enfermedades de córnea, glaucoma, catarata, retina y mácula

Estudios diagnósticos avanzados

Tratamientos con láser

Cirugías oculares de alta especialidad

"Porque tú visión es nuestra misión"
Dra. Marina Flores Vaca

EXCELENCIA ORTOPÉDICA CON VISIÓN GLOBAL

FORMADO EN TRES CONTINENTES

Médico Cirujano por la UASLP

Experiencia laboral en SEDENA y secretaria de salud

Traumatólogo Ortopedista por la Universidad de Guadalajara

Docencia Universitaria en Guadalajara

Cirujano de lesiones deportivas y articular

Miembro de la: International Society of Arthroscopy Knee Surgery And Orthopaedic Sport Medicine (ISAKOS)

Miembro de la Sociedad Alemana AGA (Gesellschaft für Arthroskopie und Gelenkchirurgie)

Avalado por el Consejo Mexicano de Ortopedia & Traumatología

Experiencia y adiestramiento en hospital FIFA en Alemania en lesiones deportivas y artroscopia de rodilla

Adiestramiento

Fellow Ship de Cirugía Robotica de Rodilla y Lesiones Deportivas en los hospitales de , Hirohata y Shimada en Osaka, Japón.

Fellow Ship de Cirugía Compleja de Rodilla en la Clínica Schwarzach, Alemania.

DGP 8099734

Certificado en medicina del dolor y cuidados paliativos por el CNCA Esp 10980221

TRATAMOS TU DOLOR

MEJOR QUE NADIE

ES POSIBLE VIVIR SIN DOLOR!

FORMACIÓN ACADÉMICA

Médico cirujano (UASLP).

Especialidad de Anestesiología (UDG).

Subespecialidad en Medicina del Dolor y Cuidados Paliativos (Tec de Monterrey).

Estancias académicas y de investigación de dolor crónica de pediatría (McGill ,Canadá) y en cuidados de soporte oncológico (Md Anderson Cancer Center, Texas).

Mejorará tu calidad de vida y disminuirán los efectos adversos de los medicamentos.

Trabajamos con la más alta tecnología.

Tratamos diversos tipos y causas del dolor crónico:

Dolor de: cuello y espalda; de cabeza y cara; abdominal y pélvico músculoesquelético; neuropático; postquirúrgico; por quimioterapia y radioterapia.

Neuralgia de trigémino

Migrañas

Fibromialgia

Síndrome doloroso regional complejo

Neuropatías (incluyendo la diabetes)

Neuralgia por Herpes Zóster

Julio Verne 250, 78270, San Luis Potosí

332 358 4023

jorge_najera@hotmail.com

Dr. Jorge Nájera @najeraymedellin

ServicioS

Consulta de hematología pediatrica

Tratamiento y diagnóstico de linfomas

Hemofilia y leucemias agudas

Aspirado y biopsia de medula ósea

Experto en alteraciones de la coagulación

Aplicación de quimioterapia intratecal

MÉDICO CIRUJANO

UNIVERSIDAD AUTÓNOMA DE SINALOA

Especialidad en pediatría médica

Hospital Infantil de México Dr. Federico Gómez (HIMFG)

Subespecialidad hematología pediátrica

Universidad Nacional Autónoma de México (UNAM)

Cédula profesional: 8496996

Cédula Especialidad: 10802996

Cédula sub-especialidad: 12819956

Consejo: 2021/HP-349

"Hematología

pediátrica del más alto nivel"

Gerente General del Centro de Infusión Hematología para Todos.

Consulta privada en Hematología

Miembro de la Asociación Mexicana para el Estudio de Hematología

Avalado por el Consejo Mexicano de Hematología A. C. 2021/HP-349.

Ponente en congresos nacionales e internacionales, participante como consultor en la investigación en nuevos tratamientos con enfoque en coagulación y leucemias agudas.

Dr. FreDer SanDoval hermoSillo

MÉDICO CIRUJANO Y PARTERO

UNIVERSIDAD DE COLIMA

Consulta de hematología

Tratamiento y diagnóstico de linfomas

Mielomas y leucemias agudas

Especialidad en Hematología

Universidad de Guadalajara

Cédula profesional: 6932676

Cédula Especialidad: 11098258

Consejo: 2022/H-609

"Excelencia en hematología con un profundo sentido humano."

Director general de la Clínica de Especialidad en Enfermedades de la Sangre Hematología para Todos.

Jefe del servicio de Hematología del Hospital Regional, antes especialidad Ignacio Morones Prieto.

Consulta privada en Hematología.

Miembro de la Asociación Mexicana para el Estudio de Hematología (AMEH).

Avalado por el Consejo Mexicano de Hematología A. C. 2022/ H-609.

Participante y asistente de congresos nacionales e internacionales, así como colaborador del grupo latinoamericano de Leucemias Agudas.

Aspirado y biopsia de medula ósea

Experto en alteraciones de la coagulación

Aplicación de quimioterapia intratecal

0539

Médico Cirujano por la Universidad Autónoma de San Luis Potosí

Ced Prof. 11657339

Cirujano Oftalmólogo por la Universidad Nacional Autónoma de México

Ced Prof. 14309804

Alta Especialidad en Microcirugía del Segmento Anterior del ojo.

“Más que transformar rostros, mi propósito es acompañar a cada persona en el arte de cuidarse, prevenir y reconectar con su bienestar”.

Soy la Dra. Laura Yolanda Guillén Martínez, egresada de la Universidad Autónoma de Sinaloa (cédula profesional 6185260), con formación especializada en Medicina Estética. Con diplomado en Medicina Bioestética y Modulación del Envejecimiento por la Academia Nacional de Medicina Bioestética. Además de una Maestría en Medicina Regenerativa, Antienvejecimiento y Estética por el Instituto Mexicano de Formación Ejecutiva (IMFE). Máster en el uso de inyectables, aparatología de grado médico, armonización facial y procedimientos de mínima invasión.

Actualmente presido el Colegio Potosino de Médicos Generales y Familiares, del que fui vicepresidenta hace 2 años; desde allí impulso una medicina ética, humana, centrada en la prevención y respaldada por evidencia científica.

En mi Clínica fusiono ciencia y tecnología de vanguardia para brindar resultados reales, individualizados y profundamente

No nací en San Luis, pero esta tierra me ha abrazado con cariño y confianza, eso me inspira cada día a seguir creciendo junto a mis pacientes que me apoyan. Mi enfoque va más allá de la belleza: es salud preventiva, es autoestima, es acompañamiento genuino e integral.

AGENDA AL Valle Umbrio 123, Lomas Del Tecnológico, CP. 78215, San Luis Potosí, SLP.

alopecia anDrogénica

El papel del tricólogo en la alopecia androgenética

La tricología es la rama de la dermatología que estudia el cuidado y las alteraciones del pelo y la piel cabelluda. Actualmente, el pelo es motivo de múltiples investigaciones en todo el mundo, incluido nuestro país. Los tricólogos son dermatólogos certificados que realizan un estudio más profundo e intensivo de las alteraciones que ponen en riesgo el mantenimiento y crecimiento adecuado del pelo. ¿Sabías que la alopecia androgénetica es el tipo de alopecia más común en el mundo? El Dr. Luis Cano nos platica un poco de este tema que puede afectar hasta al 70 % de la población mexicana.

¿Quiénes pueden presentar alopecia androgenética?

Anteriormente, se creía que solo afectaba a hombres de edad avanzada; sin embargo, también pueden padecerlo pacientes jóvenes e incluso mujeres, ya que existe una variante denominada alopecia androgenética en patrón femenino que presenta las mismas características de adelgazamiento y caída capilar, solo que en esta población se presenta en otras partes de la piel cabelluda debido a la diferente distribución de receptores de ciertas hormonas que juegan un papel importante en el adelgazamiento capilar.

¿Qué es la alopecia androgenética?

Es una enfermedad del pelo en donde se observa un adelgasamiento progresivo de la fibra capilar y una menor densidad en ciertas partes de la piel cabelluda que produce alopecia. Tiene un componente familiar bastante importante, actualmente se han determinado otros factores que podrían tener un rol en el desarrollo de esta en fermedad, sobre todo en pacien tes jóvenes, como el síndrome metabólico (obesidad, hiperten sión arterial, resistencia a la insulina, alteración en los lípidos) y otros factores ambientales.

DESPÚES ANTES DESPÚES ANTES

Paciente mujer con diagnóstico de alopecia androgenética en patrón femenino. Resultado capilar con tres meses de tratamiento tópico y vía oral.

Paciente masculino con diagnóstico de alopecia androgenética.

¿Cómo puedo saber si tengo alopecia androgenética?

La alopecia androgenética se clasifica en: alopecia androgenética masculina y alopecia androgenética femenina. Estamos más familiarizados con esta caída importante del pelo en el hombre, pues se produce retraso en la línea de implantación del pelo, las famosas entradas, y una caída progresiva de la fibra capilar en la piel cabelluda superior. En cambio, en las mujeres se presenta en la línea media de la piel cabelluda como un "ensanchamiento" de la misma, con disminución de la densidad hacia las partes laterales que suele causar una alopecia difusa. Afortunadamente, en las mujeres no suele observarse una zona sin pelo como en los hombres.

¿Cuáles son las opciones de tratamiento?

Actualmente contamos con múltiples opciones terapéuticas que se combinan de manera individual para cada paciente. El objetivo de iniciar y seguir un tratamiento para la alopecia androgenética es detener la progresión de la enfermedad, con la posibilidad de inducir un recrecimiento capilar cosméticamente aceptable. El tratamiento de esta enfermedad, independientemente de si es hombre o mujer, se divide en tres pilares esenciales y complementarios entre ellos: tópico, vía oral y en consultorio. El tratamiento tópico se basa en lociones, espumas, shampoos, cremas, sueros intensivos capilares, entre otros. El tratamiento vía oral se basa en pastillas que promueven el crecimiento del pelo y que frenan el avance de la enfermedad. Por último, el tratamiento en consultorio nos permite intensificarlo y promover un resultado cosmético adecuado, incluido el trasplante capilar.

¿Cuánto tiempo

tengo que estar en tratamiento para ver resultados?

El pelo es una estructura anatómica que tiene su propio ciclo de crecimiento y caída de meses de duración, por lo que es un anexo cutáneo con el que debemos tener paciencia y constancia para detener la caída y lograr un crecimiento capilar adecuado. Los resultados del tratamiento se verán en los siguientes tres a seis meses de aplicación constante y sin suspensión alguna. El resultado cosmético máximo será evidente al año de tratamiento ininterrumpido y debe ser de por vida, ya que al entender que es una caída con un componente genético importante, debemos mantener en control este impulso de caída y adelgazamiento.

Si estás presentando alguna caída importante de pelo, adelgazamiento o zonas de alopecia, te espero. Será un gusto ayudarte.

Dr. lUiS cano

Médico Cirujano por el Instituto Tecnológico y de Estudios Superiores de Monterrey

Especialidad en Dermatología en el Hospital General “Dr. Manuel Gea González”

Curso de Alta Especialidad en Cirugía

Dermatológica y Dermato-oncología en el Hospital General “Dr. Manuel Gea González”

Especialista en Enfermedades de pelo y uñas por la Universidad Nacional Autónoma de México @dermaluiscano 4445722823

Torre Médica Los Olivos, Camino a la Presa de San José 215, Lomas de San Luis, 78213

Pediatra certificada en la salud de los niños y adolescentes

Médico cirujano y Pediatra por la Universidad Autónoma de San Luis Potosí

Certificada por el Colegio de Pediatría de México

Miembro del Colegio de Pediatría de San Luis Potosí

Docente en la Lic. de Medicina en la UVM, con actualización continua

Amor,también es parte de la cura

Te acompaño en el cuidado y restablecimiento de lo más valioso que tenemos, la salud de nuestros niños.

Tratamiento de enfermedades comunes en la infancia

Seguimiento del niño sano

Asesoría en alimentación complementaria

Asesoría en lactancia materna

Control de peso y talla

Consulta prenatal

Revisión de esquema de vacunación

Consejería a adolescentes

444 220 8616

@dra.jozzpediatraslp

Dra. Jocelyn Lara - Pediatra en San Luis Potosí

WhatsApp CONSULTORIO

#485, Col. Prados de San Luis, SLP

Atención médica especializada integral en Pediatría y Neonatología, enfocado en el bienestar físico, emocio nal y del desarrollo de tu hijo en cada etapa de su vida.

Desde el control del niño sano, crecimiento y desarrollo, estimulación temprana, control de vacunas y tamices neonatales, tratamiento de enfermedades comunes, asesoría nutricional y orientación para padres.

¡Hola!

Soy la Dra. Claudia Rodríguez Pérez

PEDIATRA CON SUBESPECIALIDAD EN ENDOCRINOLOGÍA

Estoy muy emocionada de presentarme contigo y de invitarte a que conozcas más sobre mi trabajo.

MI FORMACIÓN

Médico Cirujano y Partero por la Universidad del Valle de México

Especialidad en Pediatría por la Universidad Autónoma de Tamaluipas

Una pediatra endocrinóloga cuida la salud hormonal de niños y adolescentes.

Ayuda con temas como crecimiento, pubertad, tiroides o diabetes infantil.

Subespecialidad en Endocrinología Pediátrica por la UNAM

CERTIFICADA POR:

Consejo Mexicano de Certificación en Pediatría, A.C

Consejo Mexicano de Endocrinología, A.C

Aviso de publicidad

Es la experta a la que acudir cuando las hormonas no están en equilibrio.

MI COMPROMISO

Ofrecer a tus hijos una atención con empatía y dedicación, asegurándome de su bienestar y desarrollo en cada etapa de su crecimiento.

ENFERMEDADES CRÓNICAS

en México y cómo controlarlas

¿Qué son las enfermedades crónicas?

Las enfermedades crónicas, también conocidas como enfermedades no transmisibles, son afecciones de larga duración y progresión lenta. Esto significa que se desarrollan gradualmente y, si no se tratan adecuadamente, pueden derivar en complicaciones graves. Requieren control y atención médica constante, y en muchos casos, su manejo es de por vida.

Cifras

En México, las enfermedades crónicas más frecuentes son un importante problema de salud pública, ya que generan una alta carga de enfermedad, discapacidad y muerte prematura. Según datos del Inegi, tan sólo de enero a junio de 2023, las tres principales enfermedades crónicas y que causaron más defunciones a nivel nacional fueron:

97,187 casos de corazón

55,885 casos de diabetes mellitus

45,409 casos de tumores malignos

Principales enfermedades

crónicas en México

Problemas de salud mental (como depresión y ansiedad, aunque a veces no se consideran "crónicas" en estadísticas oficiales)

Cáncer (especialmente de mama, próstata, cuello uterino y colon).

Enfermedades cardiovasculares (como infarto o insuficiencia cardiaca).

Dislipidemias (colesterol y triglicéridos elevados)

Enfermedades respiratorias crónicas (como EPOC y asma)

Hipertensión arterial

Obesidad y sobrepeso

Diabetes tipo 2

1

¿Qué podemos hacer para prevenir o controlar estas

enfermedades?

Ante los altos índices que existen, lo mejor será siempre prevenir y cuidarnos a nosotros mismos y promover en nuestra familia buenos hábitos, como:

MEJORAR LA ALIMENTACIÓN

- Comer más frutas, verduras, legumbres, cereales integrales y menos alimentos ultraprocesados.

- Reducir consumo de sal, azúcar, grasas trans y bebidas azucaradas.

2

3

PRACTICAR ACTIVIDAD FÍSICA DE MANERA REGULAR

- Al menos 30 minutos al día de ejercicio moderado (caminar, bicicleta, bailar, etc.).

EVITAR EL CONSUMO DE TABACO Y ALCOHOL

- Fumar está altamente relacionado con enfermedades pulmonares, cardiovasculares y cáncer.

- El consumo excesivo de alcohol también contribuye a enfermedades hepáticas, presión alta y ciertos tipos de cáncer.

CHEQUEOS MÉDICOS PERIÓDICOS

- Medir la presión arterial, glucosa, colesterol, peso y función renal regularmente.

- Detectar enfermedades de forma temprana mejora el pronóstico.

PROMOVER LA SALUD MENTAL

- Dormir bien, reducir el estrés, mantener redes de apoyo y, si es necesario, buscar ayuda psicológica o psiquiátrica.

ENFERMEDADES

CARDIOVASCULARES

Son la causa número uno de mortalidad en México y el mundo. Afecta no solo al corazón y sus arterias, también a la circulación periférica causando infarto cerebral.

PREVENCIÓN

Debes cambiar tu estilo de vida, realizar ejercicio (150 minutos por semana) y eliminar hábitos como el cigarro. De esta manera disminuyes factores de riesgo cardiovascular.

CONTROL

El manejo de la diabetes debe ser estricto y recordar que hay niveles por arriba de lo normal y pueden corresponder con intolerancia a insulina o prediabetes, que posteriormente provoca el desarrollo de la enfermedad.

“Ser diabético es igual a estar enfermo del corazón”.

OBJETIVO

Llevar un control de la presión es llevarla a cifras menores de 130/80 mmHG con tratamiento farmacológico. Para bajar el colesterol es importante también, más que la dieta, considerar el uso de fármacos del tipo de las estatinas.

medidas de prevención deben iniciar en edades tempranas, para evitar las consecuencias de la enfermedad cardiovascular. Con esto, los invito a actuar más a favor de la prevención, antes que al tratamiento de la enfermedad ateroesclerótica cardiovascular.

DRA. YADIRALIA TORRES MEDINA

CARDIÓLOGA CLÍNICA Y DE ALTA ESPECIALIDAD

¿Sientes palpitaciones, fatiga, presión alta o simplemente quieres cuidar tu corazón? Estoy aquí para ayudarte.

En mi gabinete realizo estudios especializados con un trato humano:

La salud cardiovascular requiere atención oportuna, precisión diagnóstica y un enfoque integral.

Cada estudio es interpretado personalmente, con el compromiso de brindarte un diagnóstico certero y un plan de manejo individualizado.

“Hazle caso a tu corazón… Yo me encargo del resto."

Prueba de esfuerzo en caminadora

Ecocardiograma (simple, con dobutamina o de esfuerzo físico, transesofagico).

MAPA (monitoreo ambulatorio de presión arterial – 24 h).

Holter (registro continuo del ritmo cardíaco).

Electrocardiograma

Agenda tu cita y déjame acompañarte en tu camino hacia un corazón sano.

Luis de Magallanes 255, Col. Burócratas del Estado, San Luis Potosí, SLP

SEGURO DE GASTOS MÉDICOS Por qué contratar un mayores

Contratar un seguro de gastos médicos mayores es una decisión importante que puede ofrecer numerosos beneficios y protección financiera frente a situaciones inesperadas de salud. Aquí te dejamos algunas de las principales razones por las cuales es recomendable contar con este tipo de seguros.

Cobertura de costos médicos elevados

Tratamientos Costosos: Los tratamientos médicos por enfermedades graves o accidentes pueden ser extremadamente costosos. Un seguro de gastos médicos mayores cubre gastos significativos como hospitalización, cirugías, tratamientos especializados y medicación.

Procedimientos Especializados: Cubre costos de procedimientos médicos avanzados como terapias de cáncer, cirugías de corazón, trasplantes de órganos y tratamientos neurológicos.

Acceso a atención médica de calidad

Red de proveedores: Los seguros generalmente tienen acuerdos con una amplia red de hospitales, clínicas y especialistas, facilitando el acceso a atención médica de alta calidad.

Especialistas reconocidos: Permite consultar con médicos y especialistas reconocidos sin preocuparse por el costo.

Servicios adicionales

Asistencia médica: Muchos planes incluyen servicios adicionales como consultas médicas telefónicas, asesoría médica, y programas de bienestar.

Emergencias médicas: Cobertura de emergencias médicas y evacuaciones de emergencia, si es necesario.

Beneficios fiscales

Deducciones fiscales: En muchos países, las primas pagadas por seguros de gastos médicos mayores pueden ser deducibles de impuestos, proporcionando un beneficio fiscal adicional.

Cobertura de enfermedades preexistentes

Periodos de espera: Aunque las enfermedades preexistentes a menudo tienen periodos de espera antes de ser cubiertas, muchos planes las incluyen después de un tiempo determinado.

Tratamiento continuado: Permite acceso a tratamiento continuo para condiciones crónicas una vez que se cumple el periodo de espera.

Protección Financiera

Ahorro de recursos personales: Evita el uso de ahorros personales o la necesidad de endeudarse para cubrir gastos médicos inesperados.

Estabilidad Económica: Proporciona estabilidad financiera al reducir la carga económica asociada a enfermedades o accidentes graves.

Estos son algunos de los beneficios que hacen que contar con este tipo de seguros sea una medida preventiva esencial para enfrentar los imprevistos médicos que pueden tener un impacto significati vo tanto en la salud como en la economía personal y familiar.

"Nuestra mayor fortaleza es el trabajo en equipo”

Médico Cirujano General por la UASLP (2012)

Residencia en Cirugía General en el Hospital Central, “Dr I Morones Prieto”

Cirujano Urólogo en la Universidad de Guadalajara, Hospital General del Occidente

Laparoscopia avanzada Hospital Español, Universidad Anáhuac

Fellowship Laparoscopía Avanzada Centro estatal de Cancerología Chihuahua, Chihuahua

Miembro de la American Urological Association

C.P. 7479409

Si deseas una cita para valoración no dudes en contactarnos mediante un WhatsApp o alguna de nuestras redes sociales: Facebook e Instagram. C.E. 10796964

Otorrinolaringología y Cirugía Plástica Facial

drdavidbriones.com

@dr_david_briones

444 602 3801

Hospital Lomas de San Luis. C. Palmira 600, Miravalle, 78218 San Luis Potosí, SLP

La rinoplastia es una cirugía cuyo objetivo es modificar la forma de la nariz y mejorar la obstrucción nasal, la cual es provocada por desviaciones del tabique que frecuentemente reducen el tamaño de los cornetes.

Las causas más frecuentes de cirugía son:

Motivos estéticos

Problemas de salud

Lesiones o daños

Defectos congénitos

Es importante mencionar que la rinoplastia conlleva riesgos y complicaciones, por lo que es esencial seguir las indicaciones del médico.

Beneficios de la rinoplastia:

Mejora la función nasal y apariencia

Mayor autoestima y confianza

Reparación de lesiones nasales

Corrección de defectos congénitos

1

2

Se toman diversas fotografías faciales del paciente que desee cambiar. Pasos de la rinoplastia

Se desarrolla un plan personalizado y detallado, mediante el uso de técnicas quirúrgicas de alta calidad.

3

Se mejora la armonía del rostro brindando una apariencia natural e incluso mejorando la función nasal.

Somos un centro médico integral en San Luis Potosí donde reunimos especialistas en Cirugía Plástica, Odontología, Psicología y Nutrición para ofrecerte una atención personalizada y centrada en tu bienestar físico, emocional y estético.

Nayely Berenice Chávez Leyva

Psicól. Nora Padrón Zapata

Nutrigenetista certificada por la Universidad Noyola de Chicago  Licenciada en Nutrición - UCEM

Bioquímica molecular especializada en nutrición clínica, estética y deportiva en Centro de Actualización Magistral en Investigación, Nutrición y Alimentación (CAMINA)

Nutrición Clínica Pediátrica - UCEM, con registro ante STPS

Lic. en Psicología por la UASLP Cédula: 12999173

Bachelor of Arts in Management por la City University of Seattle

Maestría en Psicoterapia

Sistémica (en curso) por el Instituto Bateson Psicoterapia Sistémica

Certificación en el Método Davis (en curso) por Davis Latinoamérica

Especialidad en Cirugía

Plástica Estética y Reconstructiva

Egresada de la UAMX Y UNAM

Certificada por el Consejo Mexicanode Cirugía Plástica Estética y Reconstructiva, A. C.

Miembro de:

Asociación Mexicana de Cirugía Plástica Estética y Reconstructiva

Federación Iberolatinoamericana de Cirugía Plástica (FILACP)

Colegio de Cirugía Plástica

Estética y Reconstructiva del Estado de San Luis Potosí

Sociedad de Cirugía Plástica

Estética y Reconstructiva del IMSS

Colegio de la Profesión Médica del Estado de SLP

Especialidad en Cirugía Plástica

Lic. en Medicina por la UNAM

Miembro de:

Asociación Mexicana de Cirugía Plástica Estética y Reconstructiva

Federación Iberolatinoamericana de Cirugía Plástica (FILACP)

Colegio de Cirugía Plástica Estética y Reconstructiva del Estado de San Luis Potosí

Sociedad de Cirugía Plástica

Estética y Reconstructiva del IMSS

Colegio de la Profesión Médica del Estado de SLP

Ortodoncista egresada de la División de Estudios de Posgrado e Investigación de la Universidad Nacional Autónoma de México Céd: 12909029

Médica Estomatóloga por la UASLP / Ced. P. 10081031

Afiliada a la: American Association of Orthodontist

Num. 14309496 World Federation of Orthodontics

Dra. Sanjuana Flores Villagomez
Dr. Luis Marco Reyes Iriar
Dra. Andrea Josseline Reyes Flores
¿Padeces de dolor de vesícula o hernia complicada? ¡No esperes más!

con un cirujano experto

Soy el

Con especialización en:

Cirugía laparoscópica de vesícula y vía biliar

Hernias complejas o reincidentes

Procedimientos de mínima invasión y recuperación rápida

Atención privada personalizada

Tecnología de punta y experiencia real

Resultados seguros con el menor trauma posible

Agenda tu valoración en San Luis Potosí y recupera tu tranquilidad.

Cirugía de vesícula y hernias por laparoscopia.

Médico especialista en Cirugía General, egresado de la UNAM.

Entrenamiento en cirugía laparoscópica avanzada en el hospital Ángeles Lomas, avalado por la Universidad Anáhuac.

Posgrado en Cirugía Laparoscópica de un puerto (CL1P), minilaparoscopía y cirugía sin huella en la Universidad Nacional del Nordeste en Argentina.

Certificado por el Consejo Mexicano de Cirugía General.

MÉDICA POLANCO: Hermanos Infante 105, Esquina con Capitán Caldera Col. Polanco, SLP.

STAR MÉDICA: Consultorio 124. Mariano Arista 735, Barrio De Tequisquiapan, SLP.

DRA. KARLA LORENA SALAZAR IBARRA

MEDICINA FAMILIAR

CP. 11058312

Certificada por el Consejo Mexicano de Medicina Familiar, A.C.

(Especialista formado en la Universidad Autónoma de San Luis Potosí)

“Porque tu salud no es solo un momento es un camino. Nosotros vamos contigo"

Mi compromiso es brindar atención integral y continua a cada persona y su familia. Priorizando la prevención, el acompañamiento emocional y el seguimiento en cada etapa de la vida.

Ofrezco atención en:

Enfermedades agudas: infecciones respiratorias, gastrointestinales, urinarias musculoesqueléticas y heridas.

Enfermedades Crónicas: hipertensión arterial, Diabetes Mellitus, obesidad, dislipidemia, asma, fibromialgia, entre otras.

Control Del Niño Sano: evolución en el crecimiento y desarrollo.

Salud Mental: ansiedad, depresión y trastornos del sueño.

Salud de la Mujer: control prenatal, detección de cáncer cervicouterino y mama.

Planificación Familiar.

Prevención y Promoción de la Salud.

CE.14188424

C. Mariano Arista, n° 730 , Col. Barrio de Tequisquiapan. Int 202/1

SUPLEMENTOS ALIMENTICIOS

LO QUE DEBES SABER ANTES DE TOMARLOS

Los suplementos alimenticios se han convertido en aliados populares para quienes buscan mejorar su salud, aumentar su energía o reforzar su nutrición. Multivitamínicos, proteínas, omega 3, colágeno, probióticos y una larga lista de productos prometen cubrir las necesidades del cuerpo. Pero, ¿real

¿Qué son los suplementos alimenticios?

De acuerdo con la Comisión Federal Contra Riesgos Sanitarios (2016), los suplementos alimenticios son:

¿Quiénes los necesitan?

Aunque muchas personas los consumen por cuenta propia, no todos los organismos requieren suplementos. En general, una alimentación equilibrada y variada puede aportar los nutrientes necesarios. Sin embargo, hay casos en los que los suplementos son recomendados por profesionales de la salud:

Mujeres embarazadas (ácido fólico, hierro).

Personas con deficiencias nutricionales diagnosticadas.

Adultos mayores con dificultades para absorber ciertos nutrientes.

Pacientes con enfermedades crónicas o restricciones dietéticas.

Personas con dietas muy restrictivas (veganas).

Beneficios reales y … limitaciones

Un suplemento no reemplaza una dieta saludable. Su función es complementar, no sustituir. Por ejemplo, tomar vitamina C puede ayudar al sistema inmune, pero no evita un resfriado si llevas una vida sedentaria o una dieta pobre. Algunos suplementos, como el omega 3, han mostrado beneficios cardiovasculares; otros, como el colágeno, pueden mejorar la salud articular o de la piel, aunque la evidencia varía.

Riesgos del consumo sin control

Consumir suplementos sin supervisión médica puede ser riesgoso. Algunos ejemplos:

Sobredosis de vitaminas liposolubles (A, D, E, K) puede causar toxicidad.

Interacciones con medicamentos, como el ginkgo biloba que puede aumentar el riesgo de sangrado si se toma con anticoagulantes.

Suplementos de origen dudoso pueden estar contaminados o mal etiquetados.

Además, “natural” no siempre significa “seguro”. Muchas sustancias naturales pueden tener efectos secundarios o interferir con tratamientos médicos.

Cómo elegir un suplemento de forma segura

Consulta a un profesional de la salud antes de comenzar a tomar cualquier suplemento.

Revisa la etiqueta: busca productos que indiquen claramente los ingredientes, dosis y fecha de caducidad.

Elige marcas confiables: preferentemente certificadas por organismos reguladores.

Evita las megadosis o promesas milagrosas (como “cura el cáncer” o “pierde 10 kilos en una semana”).

ENC. MONTSERRAT HAMPSHIRE

Lic. en Nutrición y Especialista en Nutriología Clínica

Atención a adultos y adultos mayores:

Control de peso, mejora de hábitos y composición corporal.

Enfermedades cardiometabólicas, autoinmunes, renales y oncológicas.

Cirugía bariátrica y otros procesos quirúrgicos.

Soporte enteral y parenteral. Dietas modificadas en consistencia.

Consultas presenciales (estudio de composición corporal con equipo SECA mBCA 554) y en línea.

cUiDaDo integral y De vangUarDia para

la SalUD De tU Sangre

En San Luis Potosí, Hematología Para Todos es un centro de atención especializada que transforma la experiencia de los pacientes con enfermedades de la sangre. Desde diciembre de 2020, ofrecemos un innovador modelo que integra calidad, seguridad y calidez humana.

Nuestra fortaleza radica en la unión de tres servicios esenciales en un solo lugar:

Consulta de Alta Especialidad: Contamos con un equipo médico de primer nivel. El Dr. Freder Sandoval Hermosillo, hematólogo, y el Dr. Miguel Alejandro Estolano Ayón hematólogo pediatra, son expertos en el diagnóstico y tratamiento de anemias, leucemias, linfomas, mieloma y trastornos de la coagulación.

Centro de Infusión Ambulatoria: Diseñamos un espacio seguro y confortable para la aplicación de tratamientos intravenosos como quimioterapia y anticuerpos monoclonales. Nuestros pacientes reciben su terapia en un entorno tranquilo y vigilado por nuestros médicos especialistas, evitando el frío ambiente hospitalario y riesgo de infecciones. Medicamentos de la más alta calidad y enfermeras altamente capacitadas.

Farmacia "Farmatodos": Nuestra farmacia especializada garantiza el acceso a medicamentos de alta especialidad, hemoderivados y controlados. Aseguramos la trazabilidad y los mejores costos al trabajar directamente con distribuidores autorizados.

Ofrecemos una gestión TODO incluido, facilitando los trámites con aseguradoras para que la única prioridad del paciente sea su recuperación.

HEMATOLOGÍA PARA TODOS. PORQUE

LA SALUD ES PARA TODOS.

Búscanos en Google Maps

En Moobs Scrubs encontrarás uniformes quirúrgicos que combinan funcionalidad, comodidad y diseño, pensados para profesionales de la salud que exigen rendimiento sin sacrificar estilo.

Nuestros scrubs están hechos con telas de alta tecnología, resistentes, transpirables y fáciles de cuidar, ideales para largas jornadas en ambientes clínicos.

En Moobs Scrubs, cada prenda está diseñada para acompañarte con confianza en cada procedimiento.

FARMACIA GENERAL, ESPECIALIZADA Y CONTROLADOS

En Farmatodos tenemos experiencia en medicamentos de alta complejidad, ofreciendo un servicio confiable y humano para quienes enfrentan tratamientos delicados. Contamos con un amplio surtido de medicamentos controlados para quimioterapia, terapia blanco y anticuerpos monoclonales, así como otros fármacos de difícil acceso y de farmacia general.

Nuestro compromiso es estar contigo cuando más lo necesitas, por eso te ofrecemos:

Atención especializada y asesoría confiable

Cotizaciones rápidas por WhatsApp o correo electrónico

Entrega a domicilio sin complicaciones

Horario extendido: De 8 am a 10 pm, todos los días de la semana

Búscanos en Google Maps

Estamos listos para brindarte el respaldo y la tranquilidad que mereces

DE TRAYECTORIA CONTAMOS CON MÁS DE 30AÑOS

Con acreditación por la ema en la norma ISO 15189: 2022

Dedicados a la realización de estudios clínicos y bacteriológicos con excelente calidad. Contribuimos a mejorar, restablecer y mantener la salud de las personas.

Nuestros Laboratorios se encuentran ubicados en diferentes puntos de la ciudad:

Av. Del Sauce, No. 101, Fracc. Saucito, 78110. Tel. 444 823 1223

Agustín Vera, No. 275, De Tequisquiapan, 78233 Tel. 444 833 3496 ext. 305.

Benigno Arriaga, No. 770, Col. Tequisquiapan, 78250. Tel. 444 813 6415

Julián de los Reyes, No. 40, Centro de Villa de Reyes, 79500. Tel. 485 861 0303. Cel. 444 204 0408.

Progreso: Av. Salk No. 40 1305, Progreso, 78370. Tel. 444 820 3444

Agenda tu cita:

444 127 2536 444 823 12 23

Laboratorio Clínico Coronado SLP

@laboratoriocoronado lab_ coronado@hotmail.com

INOVACIÓN PRESICIÓN Y SOPORTE

¡CONFIANZA, CALIDAD Y TECNOLOGÍA PARA LA SALUD!

En Lemon Deliveries Medical la calidad y honestidad es nuestro sello, somos una empresa con más de 8 años de experiencia en el sector de la salud, que se especializa en la venta de equipos médicos, instrumental quirúrgico e insumos de la más alta calidad, respaldados por marcas reconocidas a nivel nacional e internacional.

Nuestro compromiso es ofrecer soluciones seguras, eficientes y a la vanguardia tecnológica, que contribuyan al bienestar de los pacientes y optimicen el trabajo de los profesionales de la salud.

Desde instrumental de precisión hasta equipos de última generación, brindamos asesoría personalizada para garantizar que cada producto cumpla con los más altos estándares y necesidades específicas de cada especialidad médica. Contamos con profesionales capacitados y comprometidos y con un sistema de valores que evidencía y garantiza la satisfacción de nuestros clientes en todo momento, en nuestro Estado y a nivel Nacional.

Ponemos a tu alcance la mejor calidad y tecnología según tu especialidad lo requiera, nos especializamos en Procesos laparoscópicos, Cirugía General, Bariatría, Ginecología, Urología, Ortopedia y Veterinaria.

También puedes encontrar con nosotros el mantenimiento preventivo y/o correctivo para tus equipos médicos, podemos equipar tu consultorio o centro de salud, te ofrecemos diversas opciones de pago, financiamiento y /o arrendamiento, consulta con nuestros asesores de venta.

CHECKLIST ANUAL PARA VISITAR AL

DENTISTA

Una buena salud bucal es mucho más que una sonrisa bonita: está estrechamente ligada al bienestar general. Visitar al dentista al menos una vez al año es clave para prevenir enfermedades y detectar a tiempo cualquier anomalía. Para que tu visita sea efectiva y completa, te compartimos un checklist anual que no debe faltar en tu calendario de salud.

Agendar la cita con anticipación

Elige una fecha fija cada año (por ejemplo, después de tu cumpleaños o a inicios del

Revisión general de encías y dientes

Asegúrate de que el odontólogo revise encías, dientes, lengua, paladar y mucosa bucal para detectar caries, sarro o lesiones.

Limpieza dental profesional

Una profilaxis ayuda a eliminar placa bacteriana y manchas que el cepillado diario no puede remover. Es esencial para prevenir enfermedades periodontales.

Consejería sobre higiene oral personalizada

Aprovecha la visita para pedir recomendaciones sobre cepillos, pastas, enjuagues y técnicas de cepillado acordes a tu caso.

Chequeo de prótesis o aparatos dentales (si los usas)

Si tienes coronas, implantes, brackets o prótesis removibles, es fundamental que el dentista revise su estado y ajuste si es necesario.

Radiografías (si se requieren)

Algunas veces, una imagen es la única forma de detectar problemas invisibles a simple vista, como caries entre dientes o problemas en las raíces.

Detección temprana de cáncer bucal

Una revisión profesional puede detectar signos tempranos de lesiones sospechosas que requieran atención inmediata.

Evaluación de hábitos y salud general

Informa sobre cambios en tu salud (como diabetes, hipertensión o embarazo), ya que pueden influir en tu salud bucal.

RECUERDA

La prevención es el mejor tratamiento. Un chequeo puede evitar problemas mayores, aunque pareciera que no existe relación, las bacterias bucales pueden causar periodontitis, una “enfermedad grave de las encías que daña el tejido blando alrededor de los dientes” (Mayo Clinic, sf), la cual puede desencadenar enfermedades cardiovasculares, respiratorias, abscesos dentales y varios tipos de cáncer. Una dieta equilibrada y baja en azúcares, así como evitar el tabaco y el consumo excesivo de alcohol pueden ayudar también a una buna salud bucal.

EXPERTO EN IMPLANTES DENTALES Ismael Espinosa G. Dr.

La salud bucal va mucho más allá de tener una sonrisa bonita. Una masticación eficiente es el primer paso del proceso digestivo; cuando faltan piezas dentales, el cuerpo no puede descomponer correctamente los alimentos, lo que impacta directamente en la absorción de nutrientes y en el bienestar general. En ese sentido, la implantología dental se ha convertido en una de las especialidades más efectivas y avanzadas para restaurar la función oral, permitiendo a los pacientes no solo mejorar su digestión, sino también recuperar su autoestima y calidad de vida.

El Dr. Ismael Espinosa, especialista en prótesis e implantes dentales, radica en nuestra ciudad y es muy reconocido en su área. Es uno de los titulares de la Clínica MG y cofundador de The Implant Center, miembro activo de destacadas asociaciones nacionales e internacionales, donde junto con su equipo ha transformado la vida de cientos de personas a través de la implantología moderna.

AVANCES RECIENTES EN LA IMPLANTOLOGÍA DENTAL

El mayor avance en el área de la implantología ha sido la digitalización. Por ello para el doctor Ismael es una prioridad que la Clínica MG cuente con tecnología de vanguardia que le permita planificar de manera muy precisa cada procedimiento. Desde guías quirúrgicas personalizadas hasta planeaciones digitales que muestran los resultados antes incluso de intervenir al paciente. Esto ha elevado exponencialmente la calidad de sus tratamientos.

PRINCIPALES RETOS QUE ENFRENTA HOY LA IMPLANTOLOGÍA

Cada caso y persona que acude con el doctor Ismael es único, él comenta que este es el reto, la personalización de los tratamientos. “Hoy en día, con la tecnología adecuada, podemos abordar incluso los casos más complejos, desde injertos óseos hasta la colocación de uno o varios implantes en zonas donde antes parecía imposible”.

FORMACIÓN ACADÉMICA

LICENCIATURA EN ODONTOLOGÍA

Universidad Cuauhtémoc SLP

Cédula profesional 08189860

Diplomado en Estética Dental

Universidad Cuauhtémoc , SLP

Diplomado en Implantología

Universidad Cuauhtémoc SLP

Especialidad prótesis e implantes

Universidad ROSS Morelia, Michoacán

Cédula Profesional 1377810

Diplomado Alta Estética Universidad ROSS

Morelia, Michoacán

Certificación Digital Smile Design DSD

Seminario HIOSSEN por la OSSTEM

Dental Word Leader

Praga República Checa

Especialidad de Implantología, Estética, Regeneración y Periodoncia

Avanzada en Madrid España

Certificación Técnica Stackable

Full arch. Digital Dental Implant Planing y Carga Inmediata Costa Rica

Miembro de:

International Team for Implantology (ITI)

Asociación Dental Mexicana (ADM)

Sociedad Española de Implantología (SEI)

Sociedad Española de Periodoncia

Avanzada (SEPA)

CONOCE LA TRAYECTORIA DEL DR. ISMAEL ESPINOSA

EN LA SIGUIENTE ENTREVISTA

IMPACTO DE LA IMPLANTOLOGÍA

DENTAL EN LA VIDA DE LAS PERSONAS

Para el doctor Ismael es profundamente satisfactorio ver a cada uno de sus pacientes mejorar su nutrición y su bienestar.

“Ver cómo vuelven a sonreír con seguridad, cómo cambian su actitud frente a la vida, es algo que me motiva cada día”.

Amado Nervo 615-int 5 y 6, Col. del Valle

CP. 78250, San Luis Potosí, SLP. 44 4287 7739

SIGUENOS

PERIDONCIA - IMPLANTES DENTALES - PRÓTESIS Y ESTÉTICA DENTALORTODONCIA - ENDODONCIA - CIRUGÍA MAXILOFACIAL

Dra. Areli Castillo

Médica estomatóloga UASLP Maestría en periodoncia e implantes

Certificada por CMP

Ced. Prof. 11472108

Ced. Esp. 12629949

Certificacion 787 CMP COFEPRIS 2424015036X00441

Ventajas del escaner dental:

1 Comodidad total: escaneo rápido, limpio y cómodo, sin masillas en la boca.

2 Precisión milimétrica: imágenes en 3D con gran detalle.

3 Menos tiempo en el sillón: proceso más rápido que los métodos tradicionales.

4 Visualización inmediata de: prótesis, estado de sus dientes y encías.

5 Planificación personalizada: diseños precisos para coronas, carillas, prótesis e implantes.

6 Registro digital seguro: las imágenes se almacenan y pueden consultarse en futuras visitas.

7 Tecnología sin radiación: el escaneo es óptico, no invasivo y totalmente seguro.

1315

LA RELACIÓN ENTRE UNA

Buena alimentación

Y LA SALUD BUCAL

La alimentación tiene un impacto directo y profundo en la salud bucal. Lo que comemos no solo afecta nuestros dientes y encías, sino también el equilibrio de bacterias en la boca, el pH bucal y la producción de saliva, todos factores clave para prevenir caries, enfermedades de las encías y mal aliento.

¿Cómo influye la alimentación en la salud bucal?

Azúcares y carbohidratos simples, principales enemigos: Los azúcares alimentan a las bacterias que producen ácidos capaces de desgastar el esmalte dental, lo que aumenta el riesgo de caries. Esto incluye dulces, refrescos, jugos procesados y pan blanco.

Frecuencia de consumo, más importante que la cantidad: Comer o beber constantemente (aunque sean pequeñas cantidades) mantiene altos los niveles de ácido en la boca, lo que puede dañar los dientes con el tiempo.

Deficiencias nutricionales, debilitan dientes y encías: Una dieta pobre en vitaminas y minerales puede debilitar el sistema inmunológico y hacer que la boca sea más susceptible a infecciones y enfermedades periodontales. 3

¿Y los antojos?

Si vas a comer dulces, hazlo después de una comida principal (cuando hay más saliva en la boca) y evita consumirlos a lo largo del día. Siempre que sea posible, cepíllate los dientes o enjuágate con agua después.

Una dieta equilibrada no solo cuida tu cuerpo, también protege tu sonrisa. Combinar una buena alimentación con higiene bucal diaria y visitas regulares al dentista es la fórmula más efectiva para una boca sana a largo plazo.

Alimentos que ayudan a mantener una buena salud bucal

Lácteos (leche, yogur, queso): Son ricos en calcio y fósforo, minerales que fortalecen el esmalte dental. Además, el queso estimula la producción de saliva, que neutraliza los ácidos.

Frutas y verduras crujientes (manzana, zanahoria, apio): Estimulan la producción de saliva y ayudan a “limpiar” los dientes de manera natural. También aportan fibra, vitaminas y antioxidantes.

Frutas cítricas (naranja, kiwi, fresa): Ricas en vitamina C, importante para mantener encías sanas. (Aunque su acidez requiere enjuagar la boca con agua después de consumirlas).

Té verde o negro (sin azúcar): Contienen polifenoles que reducen el crecimiento de bacterias en la boca.

Frutos secos y semillas (almendras, nueces, semillas de chía): Aportan grasas saludables, calcio y proteínas que ayudan a fortalecer los dientes.

Agua: Hidrata, limpia la boca y promueve la producción de saliva. Beber agua fluorada, cuando está disponible, también ayuda a proteger el esmalte dental.

Algunas recomendaciones sencillas para los papás son:

Iniciar la higiene bucal desde la salida del primer diente.

Supervisar el cepillado hasta que el niño tenga 8 años de edad.

Limitar el consumo de azúcares y bebidas procesadas.

Acudir al odontopediatra al menos dos veces al año.

SONRISAS QUE DURAN TODA LA VIDA

La importancia de la prevención en la salud bucal infantil

La sonrisa de un niño es uno de los tesoros más valiosos que los padres podemos cuidar. Muchas veces creemos que los dientes de leche “no son tan importantes porque se van a caer”, pero la realidad es que juegan un papel fundamental en el desarrollo de la salud bucal, la alimentación, el habla y hasta en la autoestima de los más pequeños.

Como odontopediatra, he aprendido que la prevención es el mejor regalo que podemos darles a nuestros hijos. Una buena higiene desde temprana edad, revisiones periódicas y hábitos saludables no solo evitan caries y dolor, también forman la base de una sonrisa sana que los acompañará toda la vida.

La odontología pediátrica no solo trata dientes: acompaña a las familias en la formación de hábitos, previene enfermedades y educa en el cuidado de la salud oral.

Recordemos que la prevención no es solo evitar problemas, es invertir en bienestar, confianza y sonrisas felices que durarán toda la vida.

MUCHO MÁS QUE UNA

SONRISA BONITA

Una visión que une salud, estética y bienestar

Especialidad: Odontología estética, cosmética, restauradora e implantología

Desde que decidí dedicarme a la odontología estética, cosmética, restauradora e implantología, comprendí algo que cambió por completo mi forma de ejercer esta profesión: una sonrisa hermosa no empieza en lo que se ve, sino en lo que se siente.

Muchos pacientes llegan al consultorio buscando mejorar su estética dental, pero detrás de cada consulta hay una historia: alguien que dejó de sonreír por vergüenza, que evita ciertos alimentos porque no puede masticar bien, o que ya no se reconoce frente al espejo. Y ahí es donde comienza mi verdadera labor: restaurar la función oral para devolver confianza, çbienestar y seguridad al sonreír.

Una transformación integral

La estética dental no se trata solo de una sonrisa alineada y blanca, sino de una boca que funciona correctamente, que permite hablar, comer y vivir sin limitaciones. Es en ese proceso de recuperación donde ocurre la verdadera transformación. Cuando la función se restablece, la estética llega de forma natural… y con ella, el cambio en la actitud, en la forma de mirar al mundo y de vivir la vida.

Nuestros servicios

En nuestro consultorio ofrecemos una atención integral y personalizada, respaldada por un equipo multidisciplinario de especialistas con quienes trabajo en conjunto para garantizar los mejores resultados:

Rehabilitación bucal completa

Implantes dentales

Diseño de sonrisa funcional

Profilaxis (limpieza dental)

Para mí, cada tratamiento es una oportunidad de impactar positivamente la vida de alguien. Porque cuando un paciente vuelve a sonreír con libertad, no solo cambia su rostro… cambia su historia.

Obturaciones y reconstrucciones

Blanqueamiento dental

Prótesis total y parcial removibles

Coronas y puentes

Contáctanos

Juan de Oñate 855, Col. Jardín, SLP. C.P. 78270

Dra. Mónica

444 828 4239

Odontopediátra

Dra. Mónica

Herrera Moncada

Dra. María Andrea

444 849 5097

@dra.mariaandreas

Blanqueamiento

DRA. CLAUDIA CERDA

Dr. JoSé lUiS roJero lerma

ODONTÓLOGO ESPECIALIZADO EN PRÓTESIS E IMPLANTES DENTALES

DGP 09104381

Estoy aquí para ayudarte a recuperar tu confianza a través de una sonrisa perfecta. Con más de 12 años de experiencia, mi enfoque siempre ha sido ofrecer tratamientos personalizados y de alta calidad, diseñados especialmente para mujeres y hombres que buscan mejorar su salud bucal y estética dental.

nuestra clínica en San Luis Potosí, nos apasiona transformar vidas. Ya sea que necesites reemplazar un diente perdido, mejorar la funcionalidad de tu sonrisa, o simplemente quieres lucir tu mejor versión, estoy aquí para acompañarte en cada paso del proceso. Mi compromiso contigo: Tratamientos avanzados y tecnología de última generación. Un ambiente cálido, cómodo y profesional.

¡porqUe tU SonriSa eS tU meJor carta De preSentación!

DESPUÉS ANTES

Cuándo acudir al y por qué PSIQUIATRA

En un mundo cada vez más acelerado, exigente y saturado de estímulos, cuidar de nuestra salud mental ya no es un lujo ni un tabú: es una necesidad. Al igual que visitamos al cardiólogo por problemas del corazón o al dermatólogo por un brote en la piel, acudir a un psiquiatra debe verse como una acción de autocuidado, prevención y bienestar.

¿Qué hace un psiquiatra?

El psiquiatra es un médico especializado en el diagnóstico y tratamiento de trastornos mentales, emocionales y del comportamiento. A diferencia de un psicólogo, puede prescribir medicamentos y tratar desequilibrios químicos que afectan el funcionamiento del cerebro.

Señales de alerta: ¿cuándo pedir ayuda?

A veces, los síntomas no son tan evidentes. Sin embargo, si experimentas alguna de las siguientes situaciones, es importante considerar una consulta psiquiátrica:

Cambios drásticos en el estado de ánimo (tristeza profunda, irritabilidad constante, euforia excesiva).

Aislamiento social o deterioro en las relaciones personales.

Pensamientos recurrentes de culpa, inutilidad o desesperanza.

Pérdida de interés en actividades que antes disfrutabas.

Dificultades graves para dormir o insomnio persistente.

Ansiedad intensa que interfiere con tu vida diaria.

Cambios en el apetito o peso sin causa aparente.

Pensamientos suicidas o autolesiones

Ir al psiquiatra no es: “estar loco”

Uno de los mayores obstáculos para buscar ayuda profesional es el estigma. A muchas personas les cuesta aceptar que necesitan porque temen ser juzgadas o etiquetadas. Sin embargo, pedir ayuda es un acto de valentía y madurez emocional.

Además, las consecuencias de no atenderse a tiempo pueden afectar no solo tu salud, sino también tu vida personal, social y profesional. Pues los síntomas podrían intensificarse, podrías volverte más irritable, retraído o emocionalmente inestable; también habrá dificultad para concentrarte, falta de motivación, ausentismo y bajo rendimiento; si padeces enfermedades podrían agravarse y desencadenaría una crisis emocional grave.

La mente también necesita cuidados preventivos

No hace falta estar en crisis para acudir a un psiquiatra. También es válido pedir orientación cuando:

Pasas por un duelo o pérdida significativa.

Estás enfrentando una situación de mucho estrés.

Quieres dejar de depender de sustancias como el alcohol, tabaco o medicamentos.

Has sido diagnosticado con ansiedad, depresión o trastornos del sueño y necesitas seguimiento.

1

Escucha sin juzgar

Ofrece un espacio seguro para que la persona pueda hablar de lo que siente sin temor a ser criticada o minimizada.

2

Infórmate sobre la ansiedad

Conocer qué es la ansiedad, sus síntomas y consecuencias te permitirá entender mejor por lo que está pasando la persona.

3 Sugierele a buscar ayuda profesional

La ansiedad, especialmente si es persistente o intensa, debe ser tratada por psicólogos o psiquiatras. Puedes ayudarle a buscar un especialista, acompañarle a su primera cita o simplemente apoyarlo moralmente en el proceso.

4 Ayuda a mantener hábitos saludables

Ofrece compañía para realizar actividades que favorezcan el bienestar emocional, como:

Caminar al aire libre

Hacer ejercicio físico moderado

Comer de forma balanceada

Practicar técnicas de respiración o relajación

Dormir bien

5 Sé paciente

La ansiedad no desaparece de un día para otro. Habrá días mejores y días más difíciles. Tu apoyo constante puede ser un pilar fundamental en su proceso de recuperación.

Con más de 30 años de experiencia, sé que cuando los pacientes buscan mejorar su calidad de vida mediante la terapia, los resultados son garantizados.

El uso de la terapia sistémica, breve y otras técnicas psicológicas de vanguardia, que trabajo de forma individual, con parejas y familias, son los caminos que facilitan alcanzar sus metas y tener una mejor calidad de vida.

Mi compromiso como terapeuta es que al decidir tomar una terapia, durante el proceso, los pacientes descubran la riqueza que brinda un sano equilibrio entre las áreas: física, emocional, intelectual y espiritual.

APPS

PARA MONITOREAR TU SALUD

La tecnología se ha convertido en una gran aliada en el cuidado de nuestra salud. Hoy en día, gracias al trabajo conjunto de especialistas en salud, ingenieros, desarrolladores y científicos, se están creando soluciones innovadoras que mejoran la calidad de vida de millones de personas. Esta colaboración multidisciplinaria permite desarrollar herramientas accesibles, prácticas y cada vez más personalizadas, que facilitan la prevención, el diagnóstico temprano, el monitoreo de enfermedades y la adherencia a tratamientos. Desde aplicaciones móviles y dispositivos portátiles hasta plataformas de telemedicina, la tecnología está transformando la manera en que cuidamos de nuestro bienestar, haciéndolo más cercano, eficiente y al alcance de todos.

Aquí te dejamos sólo algunas opciones de las muchas que hay, y esperamos que puedan facilitar un poco tu rutina médica.

Sleep Cycle

Es una de las aplicaciones de seguimiento del sueño más completas disponibles en la actualidad. Analiza en detalle la calidad, duración y eficiencia de tu descanso, e incluso registra la hora en que te acuestas, para ayudarte a comprender y mejorar tus hábitos de sueño. Una de las ventajas más valoradas por los usuarios es su fácil configuración y su interfaz intuitiva, lo que la hace ideal tanto para principiantes como para quienes ya llevan un seguimiento regular de su descanso. Es perfecta si estás buscando mejorar la calidad de tu sueño de forma práctica y basada en datos reales.

Características destacadas: Perfiles de ronquidos, orientación con IA, ejercicios de meditación y despertador inteligente.

DISPONIBLE EN

Catch my pain

Es una aplicación inteligente diseñada para llevar un diario detallado del dolor. Te permite realizar un seguimiento preciso de tus síntomas, identificar patrones y descubrir posibles factores que agravan o alivian tu malestar. Muchos usuarios destacan que esta app no solo les ha ayudado a entender mejor su dolor, sino también a detectar desencadenantes y reconocer lo que realmente les hace sentir mejor.

Además, funciona como un registro médico digital, ideal para compartir información valiosa con profesionales de la salud y así mejorar el enfoque del tratamiento. También ofrece la posibilidad de conectarte con otros pacientes que viven experiencias similares, generando una red de apoyo útil y empática.

Características destacadas: Gráficos de evolución del dolor, gestión de medicamentos, mapeo preciso de episodios de dolor. Detecta si hay factores ambientales relacionados.

Disponible en: iOS y Android

DISPONIBLE EN

Medisafe

DISPONIBLE EN

Medisafe es una aplicación diseñada para ayudarte a ti y a tus seres queridos a tomar medicamentos a tiempo y de forma segura. Ideal tanto para quienes viven con enfermedades crónicas como para toda la familia, ofrece funcionalidades avanzadas que van mucho más allá de los simples recordatorios. La mayoría de usuarios coinciden en que es fiable, flexible y fácil de usar.

También ofrece la función “Medfriend”, que permite que un familiar o cuidador reciba una notificación si olvidas una dosis. La aplicación ha demostrado mejorar la adherencia a tratamientos médicos y es ampliamente valorada por su fiabilidad, flexibilidad y facilidad de uso, con miles de opiniones positivas.

Características destacadas: calendario intuitivo, recordatorios precisos y personalizados, organiza los medicamentos por día y hora, seguimiento de salud integrado, además de que la versión gratuita cubre las funciones esenciales.

BENEFICIOS DE LAS APPS MÓVILES PARA CUIDAR TU SALUD

Información al alcance de tu mano

Estas apps te permiten ver tus datos de salud en cualquier momento y desde cualquier lugar. Puedes revisar cómo te sientes, seguir tus signos vitales y hacer ajustes cuando lo necesites, lo que te ayuda a tomar decisiones más acertadas sobre tu bienestar.

Te dan más control sobre tu salud

Con estas herramientas, eres parte activa del cuidado de tu salud. Tener acceso a tus propios datos te permite entender mejor tu cuerpo, seguir tus tratamientos y cumplir más fácilmente con las recomendaciones médicas.

Mejor comunicación con tus médicos

Muchas apps permiten que compartas tu información de salud con profesionales, lo que mejora el diálogo con ellos y ayuda a hacer un seguimiento más personalizado. Esto es clave, sobre todo si tienes una enfermedad crónica o necesitas un control más constante.

Detección temprana y prevención

Al hacer un seguimiento regular de tu salud, las apps pueden ayudarte a notar cambios pequeños que podrían ser señales de alerta. Detectarlos a tiempo permite actuar antes de que el problema se agrave, lo que puede marcar una gran diferencia a largo plazo.

En Move Well creemos que cada paciente tiene su propio camino para sanar, adaptarse y mejorar. Somos una clínica especializada en readaptación deportiva, comprometida con ayudar a personas de todas las edades y disciplinas a recuperarse de lesiones y volver a su actividad física con seguridad, eficacia y confianza.

Pero no es sólo readaptación: también trabajamos en potenciar tu rendimiento cotidiano y físico. Si deseas prevenir lesiones, entrenar con inteligencia o mejorar tu desempeño físico, diseñamos un plan personalizado según tus objetivos y características físicas.

Nuestro equipo está formado por fisioterapeutas especializados que entienden que cada paciente es único. Nos distingue un enfoque profesional, personalizado, humano y empático, con seguimiento constante y un ambiente donde te sentirás cómodo desde el inicio.

Te acompañamos en tu proceso completo de fortalecimiento y evolución. Si buscas atención experta y cercana, estamos para ti.

¡Conoce nuestros diferentes servicios y da el siguiente paso en tu camino deportivo!

UNA MIRADA INTEGRAL AL BIENESTAR:

TERAPIAS ALTERNATIVAS AL SERVICIO DE LA SALUD

Por: Pablo Sánchez y Joshua Vega

En los últimos años, la búsqueda de alternativas complementarias a la medicina tradicional ha cobrado fuerza entre quienes desean mejorar su salud física, emocional y energética. Desde nuestra práctica en San Luis Potosí, hemos sido testigos de cómo el uso responsable y personalizado de ciertas técnicas no invasivas puede contribuir de manera significativa al bienestar integral de las personas.

VISIÓN Y FUNDAMENTOS

Vivimos en una época en la que el estrés, el dolor crónico y los desequilibrios físicos son cada vez más frecuentes. Ante esta realidad, hemos dedicado nuestra vida profesional a explorar y aplicar terapias manuales que ayuden a restablecer el equilibrio natural del cuerpo. Nuestro enfoque se basa en la experiencia clínica directa y en los resultados que han compartido cientos de personas que han acudido con nosotros buscando alivio.

Entre las técnicas que empleamos se encuentran:

Alphabiotismo: para armonizar la conexión entre el sistema nervioso y el cuerpo físico.

Quiropraxia: enfocada en ajustes vertebrales para liberar tensiones y mejorar movilidad.

Tok Sen: una terapia tailandesa de percusión que ayuda a desbloquear tensiones profundas.

Punción seca: ideal para liberar puntos gatillo y aliviar contracturas musculares.

Kinesiotape: que proporciona soporte funcional a músculos y articulaciones.

Ventosas: que promueven la desintoxicación y mejoran la circulación.

Estas terapias son aplicadas mediante protocolos personalizados, siempre respetando el estado físico, emocional y energético del paciente. No buscamos reemplazar el tratamiento médico tradicional, sino integrarnos de manera responsable como un acompañamiento complementario.

EXPERIENCIA Y FILOSOFÍA

A lo largo del tiempo, hemos atendido casos relacionados con dolor lumbar, estrés crónico, migrañas, desbalances posturales, desgaste articular y tensiones musculares, con mejoras evidentes en la calidad de vida de nuestros pacientes. En muchos casos, quienes ya habían agotado otras vías encuentran en estas técnicas una nueva alter nativa para reconectar con su salud.

Nuestra filosofía se centra en el respeto profundo por el cuerpo humano como una unidad interconectada: men te, cuerpo y energía. Cada sesión parte de una evaluación individual y busca siempre restablecer el equilibrio, sin in vadir ni forzar procesos, sino acompañando al cuerpo a su propio ritmo.

Valoramos profundamente la labor médica y entende mos que la salud es un campo que se enriquece con la colaboración de distintos enfoques. Por ello, nuestra práctica se guía por la ética, la formación constan te y el compromiso de atender con respeto, clari dad y responsabilidad a quienes confían en nosotros.

Sabemos que aún existe escepticismo en torno a las terapias alternativas, y lo enten demos. Pero también creemos en la importancia de abrir espacios de diálogo, donde la medicina tradicional y las terapias complementarias puedan coexistir, siempre en beneficio del paciente.

Readaptación

En el mundo del alto rendimiento deportivo, una intervención quirúrgica no representa solo un proceso médico, sino un punto de inflexión en la carrera del atleta.

En estos casos, la fisioterapia se convierte en el eje fundamental del proceso de recuperación, desde la cicatrización hasta la reintegración completa al deporte o a la vida diaria.

Información de contacto

Teléfono: (444) 411 1010

Contacto@synergiafisioterapia.com

Dirección

deportiva

Muchos de nuestros pacientes son atletas de alto rendimiento que han regresado a competir luego de cirugías complejas, como reconstrucción de ligamentos, reparación de tendones o artroscopías articulares y lo han logrado gracias al trabajo en equipo, la constancia y una planificación estratégica centrada en la persona.

Este camino se compone de múltiples etapas, y una de las más críticas es el periodo inmediato después de la cirugía, donde la fisioterapia tiene un impacto directo en la calidad de la cicatrización y la recuperación tisular.

En Synergia, entendemos que cada cuerpo es distinto, y que el retorno exitoso no se mide únicamente en tiempos, sino en calidad de vida y prevención de recaídas.

Por ello, la readaptación deportiva tras una cirugía no es una simple recuperación física, es una reconstrucción integral del atleta, por lo cuál nuestro propósito es claro: Ayudarte a volver a tu vida y hacerlo mejor que antes.

¡Síguenos!

Cordillera de los Himalaya 455, Int. E

Col. Garita de Jalisco

https://synergiafisioterapia.com C.P. 78294

Tratamientos que renuevan tu energía En Kauma Spa pensamos

Masajes que liberan el estrés

Faciales que iluminan tu piel

ESCANEA EL QR

¿Listo para decir Sí con la MEJOR SONRISA?

Reserva tu cita aquí

Turn static files into dynamic content formats.

Create a flipbook
Issuu converts static files into: digital portfolios, online yearbooks, online catalogs, digital photo albums and more. Sign up and create your flipbook.
SALUD 2025 by Que Tal Magazine - Issuu