

Frohe Ostern
COSTO

KOMMEN SIE VORBEI!
gültig in den MPREIS Märkten Bruneck
Str. 12A
Montag – Samstag 08:00 – 19:00






















TITELTHEMA
Verfassungsreferendum im März 2026 aus Pustertaler Sicht: Im Grünen Tal gewinnt mehrheitlich das „Ja“ 4
SOZIALES & GESUNDHEIT
Wenn Eltern sich trennen und wie Kinder dennoch gut begleitet werden können 10
GESELLSCHAFT & MENSCHEN
Brunecker Frauen-Gespräche 2026: Frauen und Frieden 14 Neubürgerfeier: Ein Dorf, vier Kontinente und ein großes Ziel 17 MENSCHEN IM PORTRÄT
Michaela Nöckler und Anna Niederkofler: Enkeltauglich und noch viel mehr 18 WIRTSCHAFT & UMWELT
HDS-Bezirksversammlung in Bruneck: Tourismus als zentraler Wirtschaftsfaktor im Fokus 22 St. Lorenzen: Erfolgreiche Osterochsenversteigerung 25 Pfalzen: Verunreinigung durch Gülle sorgt für Kritik 26
VEREINE & VEREINSLEBEN
60 Jahre KFS Südtirol: Gelungener Auftakt in Bruneck für’s Land 30 MK St. Johann: Zwei mal vier Jahrzehnte werden gefeiert 31
KULTUR & KUNST
Sylvie Riant und der Rotary-Club: Das starke Band 32 Buchvorstellung: Wilde Jahre und mehr... 34
BILDUNG & SCHULE
Gelebtes Mehrsprachenmodell an der MS „Röd“: Von PizzaBäckern, Puppenspielern und findigen Sprachdetektiven 36
SPORT & FREIZEIT
Eishockey im Pustertal: Serienmeister geknackt, doch das ist erst der Anfang 42
SONDERTHEMA
IMPRESSUM
Sitz, Redaktion und Verwaltung: Oberragen 18, 39031 Bruneck, Tel.: 0474 550 830, E-Mail: info@pz-media.it Egtr. Trib. BZ Nr. 23/89 v. 2.10.1989 Internet: www.pz-media.it; Einzelnr.: 1,00 Euro; Jahresabo: 25,00 Euro; Erscheinung: 14-täglich; Verantw. Direktor: Reinhard Weger (Chefred.); Sekretariat: Michaela Huber; Akquisition: Hans Paulmichl, Josef Tasser; Redaktion: dott. Reinhard Weger, MA; Dr. Willy Pöder; Dr. Judith Steinmair; Dr. Verena Duregger; Monika Gruber; Barbara Pöder; Dominik Faller; Alexander Dariz; Grafik: Andreas Rauchegger, Kerstin Voigt; Herausgeber: Pustertaler Medien GmbH - Oberragen 18, 39031 Bruneck, Im PT-Abo vert. ROC-Nummer: 2717, ISSN 2532-2567 Mitglied der USPI (Unione Stampa Periodica Italiana) Druck: Athesia Druck, Bozen – PEFC-zertifiziert: Dieses Produkt stammt aus nachhaltig bewirtschafteten Wäldern, Recycling und kontrollierten Quellen; PZ-WhatsApp Nummer: 371 7678970
Titelbild: Helmut Hilber

PEFC/18-31-166
PEFC-zertifiziert
Ihre personenbezogenen Daten werden gemäß dem G.v.D. Nr. 196/2003, der EU-Verordnung 679/2016 (DSGVO) sowie dem G.v.D. Nr. 101/2018 verarbeitet. Die vollständige Aufklärung über die Verarbeitung Ihrer personenbezogener Daten und Ihre Rechte, wie z.B. das Recht auf Löschung, sind auf unserer Website veröffentlicht: www.pz-media.it/datenschutz.html . Falls Sie die Pustertaler Zeitung nicht mehr erhalten möchten, schreiben Sie uns dies einfach an folgende E-Mail Adresse: info@pz-media.it oder rufen Sie an: 0474 550830
DiesesProdukt stammtaus nachhaltig bewirtschafteten Wäldern,Recycling undkontrollierten Quellen
www.pefc.org
DAS REFERENDUM
zwischen Gräben und Gemeinsamkeit
von Chefredakteur Reinhard Weger

Das Ergebnis des Referendums im Pustertal sorgt für besondere Aufmerksamkeit: Als einziger Bezirk in Südtirol hat sich hier eine knappe Mehrheit für das „Ja“ ausgesprochen. Zwar war auch im Pustertal die Wahlbeteiligung eher schwach, aber dieses Resultat hebt sich dennoch deutlich vom übrigen Land ab und lädt dazu ein, genauer hinzuschauen.
Auffällig ist vor allem, dass die starke Zuspitzung der Debatte weniger im Pustertal selbst stattfand, sondern vor allem auf nationaler Ebene und in Teilen der italienischsprachigen Öffentlichkeit. Dort wurde das Referendum teilweise sehr emotional und zugespitzt diskutiert, mit klaren Fronten und teils extrem vereinfachten Botschaften. Die Auseinandersetzung bewegte sich dabei oft weg von den konkreten Inhalten hin zu grundsätzlichen politischen Positionierungen. Im Pustertal verlief die Diskussion spürbar anders.
Die Menschen machten sich vor Ort ein eigenes Bild, tauschten Argumente aus und bewerteten die Vorlage vielfach aus einer pragmatischen Perspektive heraus. Genau darin könnte auch ein Schlüssel für das abweichende Abstimmungsergebnis liegen. Denn das knappe „Ja“ ist das Resultat einer differenzierten Auseinandersetzung. Mit 10.321 zu 9.628 Stimmen zeigt sich ein beinahe ausgeglichenes Bild, in dem sich Zustimmung und Skepsis die Waage halten. Es gibt keine eindeutige Richtung, sondern eine Vielzahl von Überlegungen, die letztlich zu diesem Ergebnis geführt haben.
Gerade diese Ausgewogenheit macht das Resultat interessant. Die Menschen haben sich nicht einfach von laut geführten Debatten leiten lassen, sondern sich eine eigene Meinung gebildet. Das ist ein Zeichen für eine funktionierende demokratische Kultur, die auch mit komplexen Themen umgehen kann. Entscheidungen dieser Art betreffen viele Lebensbereiche und werden entsprechend unterschiedlich bewertet. Genau deshalb braucht es auch nach der Abstimmung weiterhin Dialog und gegenseitiges Verständnis.
Vielleicht liegt gerade darin eine wichtige Lehre aus diesem Referendum. Laut geführte Debatten auf nationaler Ebene prägen zwar die öffentliche Wahrnehmung, doch am Ende entscheiden die Menschen vor Ort oft auf Grundlage eigener Überlegungen und Erfahrungen. Das Pustertal hat gezeigt, dass eine sachliche Auseinandersetzung möglich ist.
Mit Blick auf die Osterzeit bietet sich nun die Gelegenheit, nach intensiven Wochen wieder etwas Ruhe einkehren zu lassen. Zeit für Gespräche, die nicht von Gegensätzen geprägt sind, sondern von gegenseitigem Respekt und Zuhören. In diesem Sinne wünsche ich im Namen des gesamten Teams von Radio Holiday und der Pustertaler Zeitung frohe und erholsame Ostern, viele angenehme Begegnungen und vielleicht auch das gute Gefühl, dass unterschiedliche Meinungen am Ende mehr verbinden können, als man oft denkt. Alles Gute und alles Beste – nicht nur jetzt zu Ostern, sondern das ganze Jahr über!
Im Grünen Tal gewinnt mehrheitlich das „Ja“
Das Ergebnis des Verfassungsreferendums zur Justizreform vom 22. und 23. März 2026 zeigt im Pustertal eine signifikante Abweichung vom landesweiten Trend. Mit 10.321 „Ja“-Stimmen gegenüber 9.628 „Nein“-Stimmen ergibt sich eine knappe, aber statistisch relevante Mehrheit für die Reform. In relativen Zahlen entspricht dies einem Anteil von rund 51,7 % „Ja“ zu 48,3 % „Nein“. Entscheidend ist dabei weniger die absolute Höhe des Vorsprungs als vielmehr die Tatsache, dass das Pustertal als einziger Bezirk in Südtirol eine Zustimmung verzeichnet. von Reinhard Weger
Das Referendum selbst hatte die Bestätigung einer Justizreform zum Inhalt, konkret die Trennung der Laufbahnen von Richtern und Staatsanwälten. Eine Zustimmung („Ja“) bedeutete die Einführung dieses Systems, während ein „Nein“ den Status quo beibehalten hätte. Ein Beteiligungsquorum war nicht vorgesehen, wodurch ausschließlich die Mehrheit der gültigen Stimmen entscheidend war.
Auf italienischer Ebene ist das Referendum gescheitert. Dort überwogen die Nein-Stimmen deutlicher, als viele politische Beobachter vorhergesagt hatten. Das führte auch zu entsprechenden Turbulenzen in der römischen Regierungskonstellation.
In Südtirol war zwar auch das „Nein“ an erster Stelle – mit Ausnahme des Pustertales. Dort gab es zwar in der Stadt Bruneck eine Mehrheit für das „Nein“, doch in den ländlichen Gemeinden votierten die Wählerinnen und Wähler mehrheitlich für das „Ja“. In der Summe überwog dann auch das „Ja“. Damit hat sich das Pustertal als einziger Bezirk mehrheitlich im Lande für die Justizreform ausgesprochen.
DIE EINORDNUNG DER ZAHLEN
Die Differenz von 693 Stimmen zeigt ein nahezu ausgeglichenes Meinungsbild innerhalb der Bevölkerung. Dennoch ist das Ergebnis eindeutig genug, um von einer realen Präferenzverschiebung zu sprechen. In der Wahlforschung gilt bereits ein Vorsprung von über zwei Prozentpunkten als belastbar, sofern keine strukturellen Verzerrungen vorliegen.
Wichtig ist dabei die Kontextualisierung mit der Wahlbeteiligung. Diese lag in Südtirol insgesamt deutlich unter dem nationalen Durchschnitt und bewegte sich nur bei etwa

30 Prozent. Das bedeutet, dass das Ergebnis stark von den tatsächlich mobilisierten Wählergruppen geprägt ist. Niedrige Beteiligung führt typischerweise zu einer stärkeren Gewichtung von politisch interessierten oder direkt betroffenen Bevölkerungsgruppen.
DIE REGIONALE BESONDERHEIT
Dass ausgerechnet das Pustertal als einziger Bezirk eine „Ja“-Mehrheit erreicht, lässt sich nicht zufällig erklären. Vielmehr deutet es auf spezifische strukturelle und gesellschaftliche Faktoren hin.
Das Pustertal ist im Vergleich zu anderen Landesteilen eine stark dezentral organisierte Region mit einer ausgeprägten Mischung aus Tourismus, Gewerbe und kleinstrukturierter Landwirtschaft. Diese Kombination führt zu einer relativ hohen wirtschaftlichen Vernetzung. Gerade in solchen Räumen ist
die Bereitschaft zu institutionellen Reformen oft höher, wenn diese als Beitrag zu mehr Effizienz oder Rechtssicherheit interpretiert werden.
Zudem ist das Pustertal durch eine starke lokale Identität geprägt, die jedoch weniger stark politisch-ideologisch polarisiert ist als in urbaneren Zentren. Während etwa in stärker italienisch geprägten Städten Südtirols häufig entlang nationalpolitischer Linien abgestimmt wird, spielen im Pustertal eher pragmatische Überlegungen eine Rolle. Das hat sich bei diesem Referendum wieder klar herauskristallisiert.
EINFLUSS DER SOZIOÖKONOMISCHEN STRUKTUR
Die wirtschaftliche Struktur des Pustertals liefert einen zentralen Erklärungsansatz. Regionen mit hohem Anteil an kleinen und
mittleren Unternehmen sowie touristischer Wertschöpfung reagieren sensibel auf institutionelle Rahmenbedingungen. Rechtssicherheit, Effizienz der Justiz und transparente Verfahren sind hier keine abstrakten Themen, sondern unmittelbare und wichtige Standortfaktoren.
Die Reform, über die abgestimmt wurde, zielte auf eine stärkere Trennung und damit potenziell größere Unabhängigkeit innerhalb der Justiz ab. Befürworter argumentierten, dass dadurch fairere Verfahren und mehr Vertrauen in das Rechtssystem entstehen. Solche Argumente treffen in wirtschaftlich aktiven Regionen tendenziell auf höhere Zustimmung.
POLITISCH-KULTURELLE FAKTOREN
Ein weiterer wichtiger Aspekt ist die politische Kultur. Das Pustertal zeichnet sich durch eine vergleichsweise hohe Kontinuität in lokalen Strukturen aus, verbunden mit einer gewissen Offenheit gegenüber funktio -
nalen Veränderungen. Diese Kombination kann dazu führen, dass Reformen weniger ideologisch bewertet werden, sondern stärker nach ihrem praktischen Nutzen. Gleichzeitig zeigt das knappe Ergebnis, dass auch im Pustertal keine klare Reformbegeisterung vorherrscht. Vielmehr handelt es sich um eine vorsichtige Zustimmung innerhalb eines insgesamt skeptischen Umfelds. Die geringe Wahlbeteiligung in Südtirol ist ein entscheidender Faktor für die Interpretation des Ergebnisses. Niedrige Beteiligung bedeutet in der Regel, dass bestimmte Gruppen überproportional vertreten sind. Dazu zählen oft Personen mit höherem Bildungsgrad, stärkerem politischem Interesse oder direkter Betroffenheit vom Thema. Es ist daher plausibel, dass im Pustertal jene Bevölkerungsgruppen stärker mobilisiert wurden, die in der Reform einen konkreten Nutzen sehen. Gleichzeitig könnte die Gegenmobilisierung schwächer ausgefallen sein als in anderen Bezirken.
EIN SIGNIFIKANTES
ERGEBNIS
Das Abstimmungsergebnis im Pustertal ist kein Ausreißer im statistischen Sinne, sondern Ausdruck lokaler und regionaler Besonderheiten. Die knappe „Ja“-Mehrheit zeigt Pustertalerinnen und Pustertaler, die Reformen gegenüber grundsätzlich offen sind, diese jedoch auch stets kritisch prüft. Die Kombination aus wirtschaftlicher Struktur, politischer Kultur und selektiver Mobilisierung bietet eine schlüssige Erklärung dafür, warum das Pustertal als einziger Bezirk Südtirols eine Zustimmung zur Reform verzeichnet. Gleichzeitig macht die geringe Differenz deutlich, dass auch hier kein eindeutiger Konsens besteht.
Insgesamt liefert das Ergebnis aber einen wichtigen Hinweis auf die inneren Differenzierungen innerhalb Südtirols: Politische Entscheidungen werden nicht einheitlich getroffen, sondern spiegeln die jeweiligen regionalen Realitäten wider. //
GERICHTSWESEN UND EINRICHTUNG DES DISZIPLINARGERICHTS
Quelle: https://prefettura.interno.gov.it/de/prefetture/bolzano/volksabstimmung-am-22-und-23-maerz-2026

Oberländer Landsturm trauert um Siegfried Steger
PZ Nr. 5 vom 05.03.2026
Die Nachricht vom Tod von Siegfried Steger erfüllt den Oberländer Landsturm mit großer Trauer. Er war aktives Mitglied und auch Ehrenmitglied beim genannten Verein. Seine Mitgliedschaft war für den Oberländer Landsturm eine große Ehre und bedeutete eine entsprechende Wertschätzung seinerseits für den Oberländer Traditionsverein.
Die Erzählungen von Siegfried Steger über seine damaligen Aktivitäten und Erlebnisse als „Puschtra Bua“ bleiben bei den Mitgliedern des Oberländer Landsturmes für immer in Erinnerung. Eine Fahnenabordnung unter der Führung von Hauptmann Georg Wolf erwies ihm bei den Begräbnisfeierlichkeiten in seiner Heimatgemeinde Mühlen in Taufers im Pustertal die letzte Ehre.
Dramatische Wohnsituation in Südtirol
Was sind wir Südtiroler, die weder einen Bauernhof noch ein Hotel oder eine Pension oder einen Baugrund oder eine Apfelwiese oder ein Haus oder eine Wohnung oder eine Garage erben, doch für glückliche Wesen! So kommts mir vor. Denn wer etwas hat, der jammert, dass er etwas hat: „und des muas i schaugn und sell muas i zohln und do muas i tian….“ die Besitzer sind zum Erbarmen!
Wie gut, dass ich nichts habe, wo ich schauen, zahlen oder tun muss. Landesvater Dr. Kompatscher und Co: Gebt ihr mir bitte eine Wohnung, die ich mir leisten kann, obwohl ich arbeiten gehe? Ich wäre zufrieden mit einer alten Bleibe ohne Möbel und ohne Renovierung oder Klima-A-Zertifikat. Wäre das möglich im Sinne der Menschenrechte? Nehmen wir zum Beispiel die Altenwohnungen
in Lana für Pensionisten: Kochen, Schlafen, Aufenthalt im selben Raum. Keinen Balkon bitte - wäre nur Arbeit. Und auch keinen eigenen Keller. Wer braucht nach 80 Lebensjahren schon mehr als einen fremden Kasten? Und diese Bleibe kostet schon 500 Euro. Umso wärmer wird einem ums Herzerl, wenn die Zugereisten mit zwei oder drei Kleinkindern und dem nächsten Wonneproppen im Bauch vorbeispazieren in Richtung Sozialwohnung mit drei Zimmern, zwei Bädern, einer ausgestatteten Küche, einer Terrasse, einem Balkon, Keller und Garage.
Da freu ich mich immer wieder, dass Südtirol so großmütig und großzügig ist und keinerlei Unterschiede macht, ob ein Mensch sein ganzes Leben hier verbracht und Steuern gezahlt und Nachkommen gezeugt hat
Die Wahrheit über die Familienleistungen des Landes – und was nicht gesagt wird
Landesrätin Rosmarie Pamer verkündete vor wenigen Wochen, Familien finanziell zu stärken und für Entlastung für den Mittelstand zu sorgen. Das Team K zeigt mit einem genauen Blick auf die Zahlen auf, dass die Realität ganz anders aussieht: Die tatsächlichen Erhöhungen des Landeskindergeldes reichen nicht einmal für eine halbe Pizza und das Landesfamiliengeld bleibt unverändert – seit Jahren!
Die Landesrätin Pamer wirft in der Pressekonferenz mit Zahlen um sich, doch auf die einzelne Familie heruntergerechnet ergibt sich ein ernüchterndes Bild: Trotz massiv gestiegener Lebenshaltungskosten wird das Landesfamiliengeld nicht an die Inflation angepasst. Es bleibt bei 200 Euro im Monat – ein Betrag, der längst nicht mehr das abdeckt, wofür er ursprünglich gedacht war.
oder erst seit fünf Jahren hier ist. Das nenne ich Sozialpolitik und gelebtes Christentum. Auch die Schützen leisten alljährlich ihren Beitrag zum Wohle der Landsleute und zur Gerechtigkeit. Sie kleiden sich zu besonderen Anlässen dementsprechend und schießen in die Luft: Als Warnung davor, dass unser Land sein Gelöbnis vergessen könnte, gegen Ungerechtigkeit und Verherrlichung von totalitären Staatsformen einzuschreiten.
Ich bin stolz auf unsere Landesregierung und so viele andere Bestverdiener. Denn so weit haben sie es gebracht: An der höchsten Fahnenstange weht der Tiroler Adler. Unter dieser Stange werde ich mein Zelt aufstellen. Denn „nach Hause“ kann ich langsam nicht mehr. Das Gehalt reicht nicht aus. Möget ihr gedeihen und euch vermehren. Amen!
Laura Bortolotto
PZ Nr. 6 vom 19.03.2026
In einer Anfrage bezeichnete die Landesrätin diese Summe als „angemessen“. Gleichzeitig wird argumentiert, dass die Tarife der Kleinkindbetreuung seit zehn Jahren stabil geblieben seien – als würden Familien in dieser Zeit nicht mit allen anderen Preissteigerungen kämpfen müssen. Anpassungen gibt es ausschließlich beim Landeskindergeld – und diese fallen minimal aus: Hier die realen Zahlen der Erhöhungen:
• ISEE bis 15.000 €: + 6 Euro pro Monat von 70 auf 76 Euro;
• ISEE 15.000–30.000 €: + 13 Euro pro Monat von 55 auf 68 Euro;
• ISEE 30.000–46.000 €: + 5 Euro pro Monat von 55 auf 60 Euro; Diese Erhöhungen liegen weit unter der Inflation der letzten Jahre und den realen

Mehrkosten, denen Familien derzeit gegenüberstehen. Die Erhöhung des ISEE-Grenzwertes auf 46.000 wird als große Aktion für den Mittelstand verkauft, was aber einfach nur lächerlich ist. Auch beim Landesfamiliengeld+ gibt es keine Erhöhung. Die geringfügigen Anpassungen beim Landeskindergeld sind keine Entlastung für die Familien. Was die Landesrätin als großen Wurf verkaufen will, reicht für die Familien nicht mal für eine halbe Pizza.
Maria Elisabeth Rieder Landtagsabgeordnete Team K
Johann Glatzl · Oberländer Landsturm

EINMONATIGER BAHNSTOPP
Mit vergangenem Montag wurde der Eisenbahnverkehr zwischen Bruneck und Innichen für die Dauer eines Monats (30. März bis 28. April 2026) aufgrund von außerordentlichen Instandhaltungsarbeiten eingestellt. Zudem sollen Maßnahmen zwecks Installation des ETCSZugsicherungssystems durchgeführt werden (siehe Foto).
Das ETCS ist ein System, mit dem Zugfahrten kontrolliert und beeinflusst werden können. Es überwacht zum Beispiel, ob ein Zug einen Gleisabschnitt überhaupt befahren darf und es kontrolliert darüber hinaus die Fahrgeschwindigkeit. So wird ein Zug automatisch gestoppt, wenn eine Strecke nicht
NACHWEHEN
Der Fußballplatz von Olang wurde während der olympischen Winterspiele „Milano – Cortina 2026“ kurzerhand zum Autoabstellplatz umfunktioniert, um zumindest einen Teil der Blechlawine aufzufangen und damit der allgemeinen Parkplatznot irgendwie entlastend zu begegnen. Das geschah auf Bitten und Drängen der Verantwortlichen für die „olympische Mobilität“, weshalb die Olanger Sport-
freigegeben ist. Bei Überschreitung der zulässigen Geschwindigkeit wird diese hingegen wie von Geisterhand gedrosselt. Man kann sagen, das System wacht über die Tätigkeit des Lokführers bzw. der Lokführerin und schreitet immer dann ein, wenn dieser seiner Aufgabe - aus welchen Gründen auch immer - nicht mehr mächtig sein sollte. Ein beachtliches Plus für die Sicherheit der Bahnreisenden.
Laut Plan sollen die Streckenarbeiten innerhalb 28. April abgeschlossen sein, sodass tags darauf der Bahnverkehr wiederum regelmäßig abgewickelt werden kann. Während der Zugausfallzeit wird der Personentransport mittels Bussen gewährleistet; sie
funktionäre im Nachhinein völlig zu Recht Wiedergutmachung einfordern. Die ausgedehnten Schäden am Spielfeld (siehe Foto unten) dürften wohl nur durch Neuverlegung des Rasens bei entsprechender Berücksichtigung des vermutlich ebenfalls arg in Mitleidenschaft gezogenen Unterbaus behoben werden können. Das geht ins Geld! Gemessen an erfolgten Sanierungen bzw. Neubauten von Fußballplätzen im Raum Bruneck und St. Lorenzen, dürfte die Behebung der am Olanger Spielfeld hervor-
verkehren im Halbstundentakt und halten in den diversen Ortschaften wie am Bahnhof und am Graben in Bruneck, beim Rathaus in Percha sowie bei den zentralen Haltestellen in Olang, Welsberg, Niederdorf, Toblach und Innichen.
Der grenzüberschreitende Bahnverkehr im Abschnitt Innichen-Sillian-Lienz, der zwischen dem 6. und 26. April ebenfalls ausfällt, wird nichtsdestominder mittels Bussen - sie verkehren im Stundentakt - durchgeführt. Für Pedalritter sind die Busse allerdings kein äquivalenter Ersatz zur Eisenbahn, da zum Mitführen der Drahtesel hüben wie drüben kein Platz angeboten wird. // wp
gerufenen Schäden der Gemeinde teuer zu stehen kommen, es sei denn, diese hält die Provinzverwaltung bzw. das Amt für Mobilität regresspflichtig, da man das Areal erst auf deren starkes Drängen hin der zweckfremden Nutzung zugeführt habe. Diesbezüglich sickerte provinzseits jüngst durch, dass „Olympiagelder“ hierfür zwar nicht mehr zur Verfügung stünden, die Gemeinde dafür aber mit großzügigen Beiträgen seitens des von Arno Kompatscher verantworteten Sportressorts rechnen könne. // wp

Jugendliche Gewalttaten veranlassten die Regierung das Tragen von Messern zu verschärfen; Verstöße dagegen ahndet das im Februar erlassene Gesetzesdekret mit exor-
verordnung, bleibt nur zu hoffen, dass die Herren und Damen des „hohen Hauses“ im Zuge der Umwandlung, welche noch innerhalb April zu erfolgen hat, mehr Hausverstand zutage legen als es die Regierung beim Erlassen des Erlasses getan hat.

bitant hohen Strafen. Personen welche zum Beispiel mit einem sogenannten Schweizer Zweihand-Taschenmesser von handbreiter Klingenlänge (fünf cm), doch versehen mit einem einklappbaren Sicherungsmechanismus (siehe Foto 1a), erwischt werden, riskieren von sechs bis zu sechsunddreißig Monaten in der Pension zum hölzernen Löffel einquartiert zu werden, ohne jemand anders überhaupt erst ein Leid zugefügt zu haben. Übrigens sind die Herbergen vom Bettenstopp nicht betroffen. Sich selbst kann und darf man straflos in die Finger schneiden, sei es beim Schälen einer „Marlene“, sei es auf Bergtour beim Speck zerteilen. Strafbar ist hingegen, das Messer überhaupt dabei zu haben, denn für das Mitführen des erwähnten Messertyps sieht das Dekret keinen Rechtfertigungsgrund vor, der den Messerträger vor Strafe schützen würde. Angesichts dieser Missgeburt einer Rechts-
Onorevole Meinhard Durnwalder (siehe Foto 1b) wird sich jedenfalls darum bemühen. Er kündigte an, im Zuge der parlamentarischen Approbation diverse Abänderungsanträge einbringen zu wollen. Dabei dürfte er nicht allein mit der uneingeschränkten Unterstützung seiner Südtiroler Kolleginnen und Kollegen, sondern auch mit der vieler anderer Regionen und Provinzen rechnen können. Es soll damit schließlich auch erreicht werden, dass die Schützen bei Auf-

märschen ihr „Trachtenbesteck“ an der Lederhosen (siehe Foto 1c) von den Sicherheitskräften unbehelligt zur Schau stellen dürfen.

BEZIRKSTAG DER PUSTERTALER SCHÜTZEN IN REIN IN TAUFERS
Der diesjährige Bezirkstag des Schützenbezirkes Pustertal fand am 15. März 2026 in Rein in Taufers statt und wurde von der Schützenkompanie von Rein in Taufers mustergültig organisiert. Trotz winterlicher Bedingungen mit Schneegestöber begann die Veranstaltung mit der Aufstellung beim Langlaufzentrum (siehe Foto) und einem feierlichen Einzug zur Pfarrkirche, wo ein würdevoller Wortgottesdienst mit Totenehrung abgehalten wurde. Im Anschluss wurde am Friedhof der verstorbenen Kameraden gedacht, begleitet von einer Ehrensalve der Ehrenkompanie. Die darauffolgende Bezirkssitzung im neuen Schul- und Vereinshaus bot Raum für Rückblicke und Ausblicke: Bezirksmajor Thomas Innerhofer erinnerte an zentrale Aktivitäten des vergangenen Jahres, darunter Aktionen zum Thema „Ausverkauf der Heimat“ sowie das Gesamtpustertaler

Schützentreffen in Bruneck – um nur einige zu nennen. Auch die Berichte der Referenten zeigten die große Bandbreite der Tätigkeiten – von Jugendarbeit über Schießwesen bis hin zu Aus- und Weiterbildung. In den Grußworten der Ehrengäste wurde besonders die Bedeutung der Schützen für die Pflege von
Tradition, Kultur und gesellschaftlichem Zusammenhalt hervorgehoben. Der Bezirkstag klang nach der Landeshymne mit einem gemeinsamen Mittagessen aus. Der Bezirkstag unterstrich einmal mehr die starke Verwurzelung des Schützenwesens im Pustertal. // rewe
WINTERHARTER FRÜHLINGSANFANG
Während hoch oben auf den Bergen die Skisaison noch im vollen Gange ist, bestellen die Bauern im Tal derweil ihre Felder. Aber selbst in der Ebene können die Traktoren nicht alles leisten und beseitigen, was die Pflugschaufeln bei der Frühjahrsbearbeitung so alles an großen und kleinen Steinen an die Oberfläche befördern, die dann durch des Bauern eigenhändiger Kraft gehoben werden müssen (siehe Foto 2a). Wahrlich eine sehr anstrengende Arbeit.
Zu allem Überfluss rief der Frühling vor Ostern noch einmal den Winter kurz zurück. Gebietsweise schneite es sogar. Die Temperaturen sanken im Pustertal vieler Orts unter null, während oben auf den Skibergen in


der Früh sogar 10 Minusgrade und mehr registriert wurden. Im Großen und Ganzen war es eine gute Zeit für den Tanz auf den Skipisten (siehe Foto 2b), weniger gut war’s winterhafte Frühlingswetter eben für des Bauern Feldarbeit.
Wie auch immer, die Wintersaison endet in Alta Badia und im Gebiet Gitschberg Jochtal mit 6. April; die Woche drauf machen die Skiregion 3-Zinnen sowie die Skiwelt Ahrntal Schluss. Die Skiregion Kronplatz schließt als Letzte; sie führt den Winterbetrieb bis zum 19. April 2026 weiter. Knapp einen Monat später, am 16. Mai, wird die Kronplatzbahn 2000 für die Sommersaison wiederum in Betrieb gesetzt. Die Erneuerung der Kronplatzbahn 1+2 (siehe Foto 2c) samt Verlegung der Mittelstation wurde im vergangenen Jahr auf heuer verschoben. // wp

2a)
2c)
2b)
Wenn Eltern sich trennen
und wie Kinder dennoch gut begleitet werden können
Ich weiß nicht, wie ich es meinen Kindern sagen soll. Mein Partner und ich möchten uns trennen. Zwischen uns ist viel passiert, es gab viel Streit und aktuell ist die Stimmung angespannt. Wie können wir unseren Kindern die Trennung erklären – und was brauchen sie in dieser Situation von uns?
Eine Trennung der Eltern ist eine der größten Veränderungen im Familienleben. Für Erwachsene ist sie oft mit starken Gefühlen wie Traurigkeit, Enttäuschung oder Wut verbunden, zudem entstehen existenzielle Sorgen, wie Wohn- und Finanzsituation. Dabei die Kinder nicht aus den Augen zu verlieren ist oft schwierig. Für Kinder bedeutet eine Trennung vor allem Verunsicherung: das vertraute Familienleben verändert sich, der Alltag wird neu organisiert, und vieles, was bisher selbstverständlich war, wird plötzlich anders.
WAS KINDER BEI EINER TRENNUNG MITERLEBEN
Vorab: Kinder merken meist schon lange vorher, dass etwas nicht stimmt, selbst wenn Eltern versuchen, nicht in ihrer Anwesenheit zu streiten. Sie reagieren bereits vor der Trennung. Manche ziehen sich zurück, andere reagieren mit Wut oder großer Traurigkeit.
Ist die Trennung definitiv, verstärken sich diese Verhaltensmuster und Kinder stellen sich Fragen: Wo werde ich leben? Bleibt alles wie bisher? Haben mich meine Eltern noch lieb?
Ein Gedanke beschäftigt viele Kinder besonders: Habe ich etwas falsch gemacht? Haben sich meine Eltern wegen mir getrennt? Gerade jüngere Kinder beziehen Ereignisse schnell auf sich selbst. Deshalb ist es wichtig, ihnen immer wieder klar zu sagen, dass die Trennung nicht ihre Schuld ist. Nach der Trennung ist für die Kinder vieles nicht mehr so wie vorher. Sie leben plötzlich in zwei Haushalten, erleben vielleicht unterschiedliche Regeln und bewegen sich zwischen zwei Lebenswelten. Das braucht Zeit, Geduld und verständnisvolle Begleitung durch beide Eltern.
WENN ELTERNKONFLIKTE IN DER TRENNUNG DIE KINDER ZUSÄTZLICH BELASTEN
Besonders schwierig wird es für Kinder, wenn sie in die Konflikte ihrer Eltern hineingezogen werden. Wenn sie häufig Streit miterleben, Partei ergreifen sollen oder von
teil eingesetzt werden. Details aus dem Paarkonflikt gehören dabei nicht vor die Kinder. Abwertende Kommentare über den anderen Elternteil verunsichern Kinder stark.

einem Elternteil gegen das andere beeinflusst werden, geraten sie in einen inneren Konflikt.
Kinder lieben beide Eltern. Müssen sie sich zwischen ihnen entscheiden oder fühlen sie sich für den Streit verantwortlich, kann das zu psychischen Belastungen führen –manchmal auch noch lange später.
Auch nach einer Trennung bleibt deshalb eine wichtige gemeinsame Aufgabe bestehen: Eltern bleiben Eltern – auch wenn sie kein Paar mehr sind.
Die Folgen einer Trennung können Eltern ihren Kindern nicht ersparen. Damit eine partnerschaftliche Trennung für die Kinder nicht zum Schock wird, können Eltern ihre Kinder aber durch diese neuen Situationen begleiten. Die Eltern haben großen Einfluss darauf, wie Kinder diese Situation erleben und wie gut sie sich darin orientieren können.
WAS ELTERN WÄHREND UND NACH IHRER TRENNUNG FÜR IHRE KINDER TUN KÖNNEN
• Die Trennung gemeinsam erklären: Wenn möglich, sollten beide Eltern ihren Kindern gemeinsam und altersgerecht erklären, dass sie sich als Paar trennen und trotzdem Eltern bleiben.
• Kinder aus Konflikten heraushalten: Kinder sollten weder als Boten noch als Informationsquelle über den anderen Eltern-
• Sicherheit durch klare Vereinbarungen: Verlässliche Absprachen und ruhige Übergaben helfen Kindern, sich zwischen beiden Haushalten sicher zu bewegen. Schule, Freundschaften oder Hobbys sollten möglichst stabil bleiben und von beiden weiterhin gefördert werden. Vertraute Strukturen geben Kindern in dieser Zeit Orientierung und Halt.
• Gefühle, Bedürfnisse und Grenzen ernst nehmen: Kinder dürfen traurig, wütend oder verunsichert sein. Ebenso wichtig ist es, ihre Wünsche und Grenzen zu respektieren.
Eine Trennung verändert das Familienleben, aber sie beendet nicht die Familie. Kinder brauchen weiterhin beide Eltern – als verlässliche Bezugspersonen, die ihnen zeigen, dass die Beziehung zu ihnen, auch wenn sich vieles verändert, bestehen bleibt. // ph
Haben Sie Fragen zu diesem oder anderen pädagogischen Themen? Dann melden Sie sich gerne bei der Erziehungsberatung „Puschtra FamilyCompass“ der Bezirksgemeinschaft Pustertal. Dieser neue Dienst unterstützt alle bei Fragen jeglicher Art rund um die Erziehung der Kinder. //

• HEILSITZUNGEN
• ATLASREPONIERUNG
• COACHING IN PRÄSENZ & ONLINE
• CORE COACHING
MARION GRIESSMAIR


Im Gleichgewicht schwinden unsere Schmerzen
In meiner Praxis begegne ich vielen Menschen, die sagen, sie seien nicht im Gleichgewicht. Sie erzählen, dass sie sich verunsichert und instabil fühlen und dass sie deshalb manchmal auch bedrückt, verzweifelt oder auch ängstlich sind. Es gibt aber auch andere, die erklären, sie seien unsicher im Stehen, im Gehen und in anderen Bewegungen. Auch diese fühlen sich nicht im Gleichgewicht. Ich erkenne immer wieder, wie wichtig das Gleichgewicht für uns Menschen ist, und zwar sowohl, das körperliche, als auch des emotionalen. In meiner Tätigkeit als Geistige Heilerin und auch als Core Coach findet Heilung immer auf drei Ebenen statt: Auf der körperlichen, der emotionalen und der geistigen. Auf der körperlichen Ebene setzte ich den Fokus zuerst auf die Hüfte, auf die Körpermitte. Dabei fällt mir auf, dass eine Hüftverschiebung oder – Verdrehung zur Folge hat, dass der /die Betroffene nicht nur Schmerzen hat, sondern eine Fehlhaltung einnimmt. Das bedeutet, die Körperstatik ist verschoben und er / sie ist nicht mehr in ihrer/ seiner Mitte, sprich nicht mehr im Gleichgewicht. Aus diesem Grund kommt dann oft die Angst, hinzufallen und sich zu verletzen oder auch ein Schwindelgefühl und vieles mehr. Wenn ich also die Hüfte einstelle, dann fühlen sich die Menschen so-
fort anders, sicherer, geerdeter und viele Bewegungen gelingen leichter. Auch nach einer Atlasreponierung stabilisiert sich die Körpermitte als Folge, sodass die Sicherheit und Stabilität zurückkommen können. Wenn ich Kunden habe, die emotional aus dem Gleichgewicht sind, dann wirkt Core Coaching wahre Wunder, weil es immer zu den wahren Ursachen des Ungleichgewichts führt und zu den individuellen Lösungen des Menschen. Auf der geistigen Ebene gilt es oft belastende Glaubenssätze aufzulösen, sodass sie wieder das Gefühl der Selbstwirksamkeit und Entscheidungsfreiheit spüren.
Auf allen drei Ebenen werden Schmerzen aufgelöst.
BESONDERE EINLADUNG FÜR DICH!
Am 25.4.2026 findet in der Ahraue 12A von 14.00 bis 18.00 ein ganz besonderer Nachmittag für alle Interessierten statt.
Das Thema lautet: Danke Mama – drei besondere Geschenkideen
1. Marion Griessmair: Gesundheit schenken – Mama im Gleichgewichtheilende Kissen, …
2. Schaller Brigitte: Amwayprodukte für Schönheit / Gesundheit / Wohlbefinden von außen und innen
3. Thomaser Andrea: Handgefertigte Schmuckstücke, die die Schönheit der individuellen Trägerin unterstreichen – alles persönliche Unikate für einen Herzensmenschen Wir freuen uns auf dich! Andrea, Brigitte, Marion
Ahraue 12 A | 39031St. Georgen/Bruneck | Tel. 340 5482069 | www.griessmair-heilen-coaching.it
MODERNE ZAHNMEDIZIN


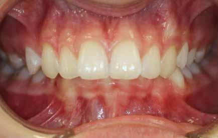
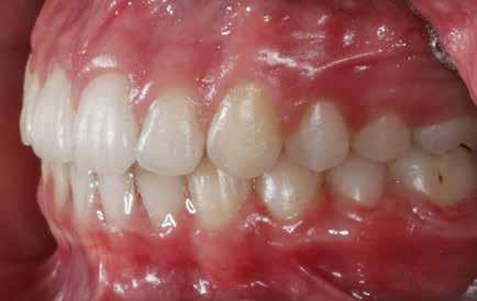
Abb. 1: Vor der Behandlung, frontal Abb. 2: Nach der Behandlung, frontal

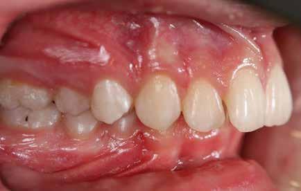
Abb. 3: Vor der Behandlung, rechts

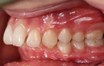
Abb. 5: Vor der Behandlung, links

Abb. 4: Nach der Behandlung, rechts

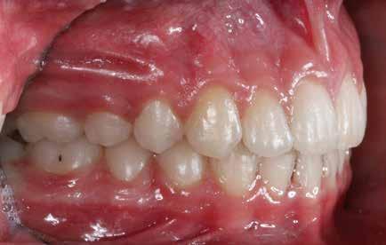
Abb. 6: Nach der Behandlung, links
Kieferorthopädie:
Diese Patientin hatte eine starke Unterkieferrücklage und weit nach vorne stehende Schneidezähne.
Die Behandlung beinhaltete die Ausformung eines schönen Zahnbogen sowie die Korrektur der Zahnfehlstellungen.
Die Behandlungsdauer betrug insgesamt 18 Monate.
Mit freundlichen Grüßen
Dr. Josef Willeit und Dr. Paul Willeit


Dr. Josef Willeit
Facharzt für Zahn-, Mund- & Kieferheilkunde Facharzt für Kieferorthopädie
Dr. Paul Willeit
Zahnarzt, Facharzt für Kieferorthopädie
Adresse: Romstraße 3, Bruneck • Tel. 0474 555 409 info@willeit.it • www.willeit.it


DIE NEUE PRAXIS IST DA!
LIVING

ERSTELLUNG DER GESAMTEN EINRICHTUNG

AUSFÜHRUNG DER GESAMTEN ELEKTROARBEITEN www.oberlechner-messner.it
Handwerkerzone Rasen 9, I-39030 Rasen/Antholz (BZ) Tel. 0474 496 445 info@oberlechner-messner.it


Heizungs- und Sanitäranlagen, Gebäudetechnik, Kundendienst www.installateur.it
Oberrasner Straße 32, Rasen-Antholz Mobil +39 348 5832053 info@installateur.it
Im Februar 2026 ging für Deborah Egger ein lang gehegter Traum in Erfüllung: Mit der Eröffnung ihrer eigenen Physiotherapiepraxis „Altomotion“ in Antholz wagt die engagierte Therapeutin den Schritt in die Selbstständigkeit – und kehrt damit bewusst zu ihren Wurzeln zurück.
Aufgewachsen in Antholz, entschied sich Deborah Egger nach ihrer Matura im Jahr 2009 für eine fundierte Ausbildung zur Physiotherapeutin an der Chiemsee-Schule Zimmermann in Traunstein. Bereits während dieser Zeit sammelte sie vielseitige praktische Erfahrungen in unterschiedlichen medizinischen Einrichtungen – von Akutkrankenhäusern über Kurkliniken bis hin zu Rehabilitationszentren mit Schwerpunkten in Neurologie und Orthopädie sowie in einer Privatpraxis. Nach ihrem erfolgreichen Abschluss führte ihr beruflicher Weg in die Schweiz. Dort vertiefte sie ihr Wissen in einer Privatpraxis und betreute zusätzlich Patientinnen und Patienten in Alten- und Pflegeheimen. Diese Zeit prägte nicht nur ihre fachliche Kompetenz, sondern auch ihr Verständnis für individuelle Bedürfnisse und ganzheitliche Betreuung.
VERSCHIEDENE THERAPIEANSÄTZE
2017 kehrte sie in ihre Heimat Antholz zurück. In den darauffolgenden Jahren entwickelte sie sich beruflich kontinuierlich


weiter und bildete sich in verschiedenen Therapieansätzen fort. Neben ihrer Tätigkeit als Physiotherapeutin ist sie auch Mutter von zwei Kindern – eine Erfahrung, die ihr Feingefühl und ihre Empathie im Umgang mit Menschen zusätzlich stärkt. Mit der eigenen Praxis setzt sie nun einen wichtigen Schritt: Ihr Ziel ist es, Menschen auf ihrem Weg zurück zu mehr Beweglichkeit, Selbstständigkeit und Lebensqualität zu begleiten – sei es nach Verletzungen, Operationen oder im Rahmen der Prävention. Dabei stehen persönliche Betreuung, moderne Behandlungsmethoden und eine vertrauensvolle Atmosphäre im Mittelpunkt. Die Praxis bietet eine ruhige, persönliche Umgebung mit ausreichend Zeit für individuelle Betreuung. Ein Behandlungsraum sowie ein Trainingsbereich schaffen ideale Voraussetzungen für eine gezielte und ganzheitliche Therapie.
Das Leistungsspektrum umfasst unter anderem allgemeine Physiotherapie, verschiedene Massagetechniken, Lymphdrainage sowie Rehabilitation nach Verletzungen und Operationen. Ergänzend kommen Methoden wie Schröpfen, Kinesiotaping, Functional Flossing sowie das Fasziendistorsionsmodell (FDM) nach Typaldos zum Einsatz. // de
Physiotherapeutin Deborah Egger
VERMÖGENSRECHTLICHE REGELUNGEN IM RAHMEN VON EHETRENNUNG
bzw. Auflösung der Lebensgemeinschaft - Möglichkeit der Anfechtung seitens der Gläubiger
RA Dorothea Passler Schramm-Tschurtschenthaler Anwaltskanzlei www.schramm.it

Vereinbarungen vermögensrechtlicher Natur, welche Ehe- bzw. Lebenspartner im Rahmen einer einvernehmlichen Trennung ohne weiteres rechtswirksam treffen können -Möglichkeit, von der nicht zuletzt aus Kostengründen auch regelmäßig Gebrauch gemacht wird-, können aber von deren Gläubigern nach Art. 1414 ZGB (Scheingeschäft) angefochten werden; dies mit der Konsequenz, dass allfällige Übertragungen von Vermögenswerten im Rahmen der Ehetrennung für hinfällig erklärt werden können, wenn festgestellt wird, dass dadurch das Vermögen ihres Schuldners nachhaltig beeinträchtigt wird. Dies hat der Oberste Gerichtshof kürzlich mit Beschluss Nr. 3442/2026 festgestellt.
Im Anlassfall hatte die Gläubigerin eines der Ehepartner dessen Verurteilung zu einer Schadenersatzleistung erwirkt und gleichzeitig ein Verfahren wegen ‚Simulation‘ der von demselben im Rahmen dessen Ehetrennung seiner Frau übertragenen Vermögensgüter angestrengt.
Dieses Begehren war in erster und zweiter Instanz abgewiesen, die Entscheidung aber vom in der Folge angerufenen Obersten Gerichtshof mit Beschluss Nr. 21839/2019 kassiert und an das Berufungsgericht zurückverwiesen worden, mit der Klarstellung, dass die vermögensrechtlichen Abmachungen zwischen Ehepartnern im Rahmen der Ehetrennung, welche in keinem direkten Zusammenhang mit derselben stehen, den allgemeinen zivilrechtlichen Bestimmungen über die Vertragsautonomie der Parteien unterliegen und somit auch jenen nach Art. 1414 ZGB, welcher eben das sog. ‚Scheingeschäft‘ (it.: „simulazione“) regelt.
Das in der Folge ergangene Urteil, mit welchem in Anwendung dieser vom Obersten Gericht festgelegten Kriterien die im Rahmen der Ehetrennung veranlassten Immobilienübertragungen denn auch wegen ‚Simulation‘ für unwirksam erklärt worden sind, ist wiederum dem Kassationsgericht zur Prüfung vorgelegt worden, welches dann mit dem obgenannten Beschluss definitiv erklärt hat, dass sämtliche vermögensrechtlichen Abmachungen, welche Ehepartner im Rahmen eines einvernehmlich abgewickelten Ehetrennungs- bzw. -scheidungsverfahrens treffen, aber nicht direkt und schlüssig mit der Trennung oder Auflösung der Ehe zusammenhängen, einen eigenen autonomen Vertragsgrund haben und somit auch den entsprechenden Bestimmungen des Zivilgesetzbuches unterliegen, einschließlich der Möglichkeit, die Vereinbarung wegen Vorliegens eines sog. Scheingeschäfts anzufechten. //
NEUE ABSETZBARKEITEN IN DER STEUERERKLÄRUNG FÜR 2025
Dr. Paul Haselrieder Angehender Wirtschaftsprüfer und Steuerberater Ausserhofer & Partner www.ausserhofer.info

Mit dem Bilanzgesetz 2025 wurden wesentliche Änderungen hinsichtlich der steuerlichen Absetzbarkeit bei Privatpersonen beschlossen. Die Umgestaltung dieser Maßnahmen kann dabei in folgende drei Einkommensstufen kategorisiert werden:
• Einkommen bis zu 20.000 Euro
• Einkommen zwischen 20.000 und 40.000 Euro
• Einkommen über 75.000 Euro
1. Einkommen bis zu 20.000 Euro
Für Steuerpflichtige, mit lohnabhängigen Einkünften bis 20.000 Euro wurde nun ein prozentualer Steuerfreibetrag eingeführt, der direkt das zu versteuernde Einkommen reduziert. Die Prozentsätze betragen dabei wie folgt:
• 7,1% für Einkommen bis zu 8.500 Euro;
• 5,3% für Einkommen zwischen 8.500 und 15.000 Euro;
• 4,8% für Einkommen über 15.000 Euro.
Bei einem Einkommen von 8.500 Euro ergibt sich somit beispielsweise ein Freibetrag von 603,50 Euro. Dadurch reduziert sich die steuerliche Bemessungsgrundlage auf 7.896,50 Euro.
2. Einkommen zwischen 20.000 und 40.000 Euro
Für diese Einkommensgruppe wird ein zusätzlicher Steuerabsetzbetrag gewährt, der direkt die zu zahlende Steuer reduziert. Bis zu einem Einkommen von 32.000 Euro beträgt der Steuerabsetzbetrag 1.000 Euro, danach verringert sich dieser schrittweise bis 40.000 Euro. Der effektive steuerliche Vorteil hängt dann von der jeweiligen individuellen Situation des Steuerpflichtigen ab.
3. Einkommen ab 75.000 Euro
Die Steuerabzüge für Steuerpflichtige mit einem Einkommen über 75.000 Euro wurden ebenfalls neu geregelt. Die maximal mögliche Höhe der Absetzbarkeit wird dabei nun auf Grundlage des Einkommens und der Anzahl der steuerlich zu Lasten lebenden Kinder berechnet. Dies bedeutet, dass Ausgaben nur mehr bis zu einem berechneten Höchstbetrag maximal absetzbar sind. Betroffen davon sind alle Ausgaben (auch Sanierungen!) mit Ausnahme von medizinischen Ausgaben, Zinsen von Darlehen, die vor dem 31. Dezember 2024 abgeschlossen wurden, sowie Beiträge zu Versicherungen, deren Verträge ebenfalls vor diesem Datum abgeschlossen wurden. Die Höchstgrenzen wurden wie folgt gesetzlich geregelt:
Zusammenfassend entlasten die oben angeführten Neuerungen vor allem Einkommensschwache, während höherverdienende Steuerzahler durch die begrenzte Absetzbarkeit stärker belastet werden. //
Frauen und Frieden
Die diesjährige Ausgabe der Brunecker Frauen-Gespräche war einem Thema gewidmet, das derzeit leider wieder einmal aktueller denn je ist: Frieden. Präziser ausgedrückt wurde der Zusammenhang von Frauen und Frieden behandelt beziehungsweise die Frauenbewegung als Friedensbewegung. Im voll besetzten Ragenhaus erwies sich das Thema als äußerst vielschichtig.
Die Frauen-Gespräche der Stadtgemeinde Bruneck haben eine lange Tradition. Zum ersten Mal fanden sie anlässlich des Internationalen Tages der Frau am 8. März im Jahr 2008 statt. Die damalige Stadträtin Brigitte Pezzei rief mit den Frauen-Gesprächen eine Initiative ins Leben mit dem Ziel, an einem Abend rund um den Tag der Frau für Themen zu sensibilisieren, die gemeinhin als „Frauenthemen“ gelten, tatsächlich aber für die gesamte Gesellschaft von großer Bedeutung sind. Dabei, so der Ansatz, sollte nicht die Information, sondern der Austausch im Vordergrund stehen. Seitdem finden die Frauen-Gespräche jährlich statt mit jeweils einem anderen Thema im Mittelpunkt. Für das heurige Jahr schlug Stadträtin Stefanie Peintner, die die Veranstaltung von ihrer engagierten Vorgängerin Ursula Goldwurm mittlerweile „geerbt“ hat, der Projektgruppe, bestehend aus Vertreterinnen des Club Soroptimist Pustertal/Val Pusteria, der Raiffeisenkasse Bruneck, der Stadtbibliothek Bruneck und dem Veranstaltungszentrum Nobis, das hochaktuelle Thema Frieden vor, das aus feministischer Sicht betrachtet werden sollte. Schließlich ist die weltweite Frauenbewegung, entstanden in den Anfängen des 20. Jahrhunderts, das beste Beispiel für eine Bewegung, die mit friedlichen Mitteln, vor allem mit großer Beharrlichkeit, äußerst erfolgreich war.

Eröffnet wurde der Abend mit einer Begrüßung durch Stadträtin Stefanie Peintner die von Demut sprach und betonte, wie fragil Frieden ist und wie unterrepräsentiert Frauen dort sind, wo Frieden gestaltet werden könnte. Nach Grußworten von SoroptimistPräsidentin Nicoletta Masotti und Waltraud Ausserhofer von der Raiffeisenkasse Bruneck zeichnete Heidi Hintner, Oberschullehrerin und feministische Aktivistin, in ihrem Impulsreferat den Weg der Frauenbewegung nach, vom Kampf um das Frauenwahlrecht bis hin zu aktuellen Frauenfriedensbewegungen in Südtirol und weltweit, und hob dabei besonders die Beiträge von Frauen für den Frieden hervor.

SIND FRAUEN FRIEDFERTIGER?
In der anschließenden Gesprächsrunde, an der neben Heidi Hintner, die gebürtige Brunecker Philosophin Nicoletta Cusano, die Musikerin Alena Savina sowie die Künstlerin und Architektin Rina Treml teilnahmen, wurden die unterschiedlichsten Aspekte des Themas „Frauen und Frieden“ gemeinsam erörtert. Im Raum standen dabei unterschiedlichste Fragen, wie etwa welche Rolle das Geschlecht beim Thema Frieden spielt? Sind Frauen tatsächlich „friedfertiger“ oder ist das nur ein Klischee, oder handeln Frauen Frieden doch anders? Will heißen, sieht ein frauengemachter Frieden anders aus und ist er womöglich beständiger? Schließlich belegen doch viele Studien, dass Frauen Konflikten weniger konfrontativ und dialogbereiter begegnen, während Männer schneller Konfrontation oder gar Krieg als Lösung in Betracht ziehen… Stimmt das denn wirklich, und wenn ja, warum ist das so?
Die Ansätze der Gesprächsteilnehmerinnen waren dabei sehr unterschiedlich und von der eigenen Erfahrung geprägt. Die Musikerin Alena Savina brachte mit einem Musikstück auf der Geige ihr Credo zum Ausdruck, dass die Musik einen wesentlichen Beitrag zum Frieden leisten könne. Als gebürtige Russin drückte sie auch ihren persönlichen Schmerz über den russischen Angriffskrieg in der Ukraine aus und stellte die These auf, dass es weniger Kriege gebe, wenn mehr Frauen an der Macht wären (s. nachfolgendes Interview). Die Philosophin Nicoletta Cusano sah den Zusammenhang zwischen Frauen und Frieden nicht in der Genetik, sondern in der Historie, da Frauen während vieler Jahre des Leids große Resilienz und Empathie entwickelt haben. Es sei wichtig, den Frieden nicht als spezifisch frau- oder manngemacht zu betrachten, sondern geschlechtsunabhängig zu fördern. Frauen sind nicht friedfertiger, sie sind nur weniger in Machtpositionen vertreten, so die Künstlerin und Architektin Rina Treml, seit ihrer Studienzeit eine vehemente Verfechterin der Gerechtigkeit
Stadträtin Stefanie Peintner

Bei den heurigen Frauen-Gesprächen in Bruneck diskutierten sie im vollbesetzten Ragenhaus über das wichtige Thema „Frauen und Frieden“. zwischen den Geschlechtern. Frauen wollen Frieden, mit anderen Mitteln als Männer, sagte Heidi Hintner, für die jedenfalls feststehe, dass gleichberechtigte Gesellschaften friedfertiger sind. Auch aus dem Publikum kamen einige interessante Ansätze für
das Gesprächsthema, das an diesem einen Abend noch lange nicht ausdiskutiert war… Bei einem von der Raiffeisenkasse Bruneck gesponserten vegetarischen Buffet und umrahmt von sensationeller Musik vom Duo „Medea & Aaron Hinteregger“ hatten die zahlreichen Anwesenden noch ausreichend Gelegenheit, sich auszutauschen. Einig waren sich alle darin, dass Frieden ein Sehnsuchtswort und ein Sehnsuchtsort für alle Menschen ist.
IM GESPRÄCH MIT ALENA SAVINA
Die Musikerin ist gebürtige Russin und stammt aus einer Kleinstadt in der Nähe von Moskau. Im Alter von fünf Jahren beginnt sie Geige zu spielen, mit sieben Jahren spielt sie bereits als Solistin mit einem Orchester, sie schließt ihr Musikstudium später mit Auszeichnung ab und spielt als Solistin mit dem Staatlichen Symphonieorchester. Nach dem Abschluss der Musikakademie in Minsk arbeitet sie im Orchester des Opern- und Balletthauses und tourt durch viele europäische Länder, spielt auch in Übersee und Asien. Nach ihrer Heirat zieht sie nach Meran, ist erste Geigerin im Orchester Musikfreunde Meran, Merano Pop-Symphony, Gastmusikerin im Haydn-Orchester und Südtirol Filarmonica und spielt in verschiedenen Orchestern in der Schweiz, Frankreich und Deutschland. Sie unterrichtet Geige in der Landesmusikschule in Schlanders und Singklassen in der Musikschule Eppan sowie viele Jahre lang auch Russisch in Meran.
PZ: Bei den Frauen-Gesprächen haben Sie ein Stück auf Ihrer Geige vorgetragen, dem alle andächtig gelauscht haben… Sie denken, dass Musik bzw. die Kunst ganz allgemein einen Beitrag zum Frieden leisten können?


Alena Savina: Ja, absolut! Musik hat die Macht, Menschen zu verbinden und Emotionen zu übermitteln. Sie kann Brücken bauen und Grenzen überwinden. Kunst kann Menschen inspirieren, sich für den Frieden einzusetzen und Empathie zu entwickeln.
Und wie sieht es mit Frauen aus? Würde global gesehen Krisenmanagement /der Weltfrieden womöglich anders aussehen, wenn mehr Frauen an Entscheidungen teilhaben würden bzw. an der Macht wären? Ich denke, dass Frauen oft eine andere Perspektive einbringen und mehr auf Kooperation und Kommunikation setzen.
Wenn mehr Frauen in Entscheidungspositionen wären, könnte dies zu einer friedlicheren und gerechteren Welt führen.
Nun sind Sie ja gebürtige Russin und der russische Angriffskrieg gegen die Ukraine tobt nun schon seit über vier Jahren. Mit welchen Gefühlen blicken Sie darauf?
Das ist eine sehr schwierige Situation. Als Russin bin ich zutiefst betroffen von dem, was in der Ukraine passiert. Ich hoffe, dass der Krieg bald endet und die Menschen in der Ukraine Frieden finden können.
Sie engagieren sich ja auch ganz konkret in einem entsprechenden Projekt: Worum geht es da?
Ja, ich bin engagiert in einem Projekt, das sich für den Frieden und die Verständigung zwischen den Kulturen einsetzt. Wir organisieren Konzerte und Veranstaltungen, um Menschen zusammenzubringen und den Dialog zu fördern. Es handelt sich um musikalische Exkursionen durch verschiedene Städte Italiens, bei denen wir uns treffen und versuchen, durch Musik und Kultur Menschen verschiedener Nationalitäten, die jetzt in Italien leben, zusammenzubringen.
// Interview: Judith Steinmair

Im Bild von links: Dr. Gianluca Boscarol (Kinderarzt); Dr. Bernd Raffeiner (Leiter der Kinderrheumaambulanz); Peter Rech (Präsident MutSozialstiftung); Birgit Kaschta (Sprecherin Rheuma-Kids) und Günter Stolz (Präsident Rheuma-Liga).

MUT-STIFTUNG UNTERSTÜTZT RHEUMA-LIGA SÜDTIROL
IMMER AUCH MUTIG VORAN…
Seit Jahren unterstützt die Mut-Sozialstiftung die Rheuma-Kids in der Rheuma-Liga Südtirol. Auch in diesem Jahr überreichte der Mut-Präsident Peter Rech einen großzügigen Spendenscheck. Nur dank der weitherzigen Unterstützung der Mut-Stiftung konnten in der Vergangenheit einige Herzensprojekte der Rheuma-Kids umgesetzt werden. Mit dem Spendengeld wurden beispielsweise über viele Jahre die psycholo-
MUSIKKAPELLE ST. GEORGEN
gische Betreuung durch einen Kinderpsychologen sowie die kindgerechte Gestaltung der Kinderrheumaambulanz finanziert. Mit dem Spendengeld wurden Infomaterialien, Sensibilisierungskampagnen zu Rheuma bei Kindern, Malkreiden und Hilfsmittel sowie tolle Aktionen für die Familien von betroffenen Kindern bezahlt. Bei der jüngsten Spendenübergabe anwesend waren der Leiter der Kinderrheumaambulanz, Dr. Bernd
Raffeiner, der behandelnde Kinderarzt Gianluca Boscarol, die Sprecherin der RheumaKids, Birgit Kaschta, der Präsident der MutSozialstiftung, Peter Rech und der Präsident der Rheuma-Liga, Günter Stolz. „Wir bedanken uns mit einem herzlichen Vergelt’s Gott für die wertvolle und treue Unterstützung in all den Jahren. Dank dieser Zuwendung können wir weiterhin konkrete Projekte für die betroffenen Kinder und ihre Eltern und Familien umsetzen. Solche Zeichen der gelebten Solidarität und Güte sind nicht hoch genug einzuschätzen.“, danken die Sprecherin der Rheuma-Kids, Birgit Kaschta und der Präsident der Rheuma-Liga, Günter Stolz. // pe
HAUPTGEWINN DER JUBILÄUMSLOTTERIE GESPENDET
Im Jubiläumsjahr „100 Jahre Musikkapelle St. Georgen“ organisierte die Jergina Musik eine große Jubiläumslotterie mit insgesamt 100 attraktiven Preisen. Ein besonderer Höhepunkt der Verlosung war ein Fiat 500 als Hauptgewinn. Das Gewinnerlos fiel auf die Nummer 5.062. Leider wurde aber der Hauptpreis trotz mehrfacher Aufrufe nicht abgeholt.
Nach Ablauf der Frist entschieden die Musikantinnen und Musikanten in ihrer Vollversammlung, den Fiat 500 zu verkaufen und den Erlös für wohltätige Zwecke zu spenden. Dank der Unterstützung der Firma Automarket in Percha, die das Fahrzeug zu fairen Konditionen zurücknahm, konnte auch eine erfreuliche Summe erzielt werden.
Am 14. März 2026 wurden schließlich zwei Schecks im Wert von je 6.750 Euro an den Vinzenzverein Bruneck und an die Krebshilfe Unteres Pustertal übergeben. Mit diesen Mitteln können beide Organisationen unkompliziert Menschen aus dem Raum Bruneck unterstützen.
Die Musikkapelle bedankt sich herzlich bei allen Spenderinnen und Spendern, Unter-

Die Verantwortlichen bei der Übergabe der beiden Spendenschecks im Ausmaß von je 6.750 Euro.
stützerinnen und Unterstützern sowie bei allen, die ein Los gekauft haben und so zum Erfolg dieser Lotterie beigetragen haben. Die Spende rundet das Jubiläumsjahr der
Musikkapelle St. Georgen auf besondere Weise ab und setzt ein Zeichen für gesellschaftliches Engagement und gelebten Zusammenhalt im Dorf. // phe

NEUBÜRGERFEIER
EIN DORF, VIER KONTINENTE UND EIN GROSSES ZIEL
Am 27. Februar 2026 lud die Pfalzner Referentin Gabriela Bachmann zu einem Willkommensabend für die Neubürgerinnen und Neubürger der Gemeinde Pfalzen ein. Geladen waren alle Menschen, die in den Jahren 2024 und 2025 ihren Wohnsitz in der Gemeinde angemeldet haben. Dazu zählen Menschen, die aus Arbeitsgründen hierher gezogen sind, Pfalznerinnen und Pfalzner, die aus dem Ausland oder aus benachbarten Gemeinden in ihr Heimatdorf zurückgekehrt sind, sowie Menschen, die sich in das sonnige Pfalzen verliebt haben und hier wohnen und leben möchten.
In den letzten zwei Jahren sind Menschen aus vier Kontinenten nach Pfalzen gezogen. Die Vielfalt ihrer Erfahrungen und Lebensmodelle stellt für das Dorf eine Bereicherung dar. Die Einbindung der Neubürgerinnen und Neubürger in das Dorfleben kann für alle Beteiligten nur von Vorteil sein.
Und hier kommen die Vereine ins Spiel. Nirgendwo sonst gelingt Integration schneller und unmittelbarer als in einem Verein. Hier treffen sich die Interessen, und jede/r kann ihre/seine Fähigkeiten einbringen. Aus Bekanntschaften können Freundschaften entstehen.

WERTVOLLE MITHILFE
Wesentliche Hilfe kam von Bibliothekarin Birgit Hilber. Sie entwarf die Einladungen und kümmerte sich um vieles Organisatorisches. In den Jahren 2024/2025 hat übrigens das Regionalmanagement Pustertal die Initiative der Willkommensabende in den Gemeinden ins Leben gerufen und Unterstützung bei der Organisation angeboten. In Pfalzen wurde
nichts Konkretes umgesetzt – unter anderem, weil die Wahlen dazwischengekommen sind. Irmgard Hitthaler zufolge wurde die Idee bei einem Workshop zum Gemeindeentwicklungsplan geboren, als ein Teilnehmer bemängelte, dass es für Neuzugezogene schwierig sei, in die Dorfgemeinschaft „hineinzukommen“. // jst
Aus diesem Grund hat die Referentin Vertreterinnen und Vertreter gemeinnütziger Vereine eingeladen, um neue Mitbürgerinnen und Mitbürger über das Vereinswesen zu informieren und möglicherweise sogar neue Mitglieder anzuwerben. Mehr als 20 Vereine sind der Einladung gefolgt. Für die Referentin ist dies ein starkes Zeichen für Offenheit, Gastfreundschaft und grundsätzliche Freundlichkeit gegenüber neuen Mitmenschen.
Nach einer kurzen Begrüßung durch die Referentin Gabi Bachmann wurde die Gemeinde vorgestellt: zunächst mit einem Kurzfilm, der das Dorf aus der Luft zeigte, und anschließend durch eine Präsentation von Bürgermeister Roland Tinkhauser, der Daten und Fakten lieferte.
Beim anschließenden lockeren Teil des Abends hatten Vereine und Neubürger in gemischten Gruppen bei einem Buffet die Gelegenheit, sich auszutauschen. Neben dem eigentlichen Ziel, Neuzugezogene beim Ankommen in der Dorfgemeinschaft zu unterstützen, entwickelte sich ein kreativer Austausch innerhalb der Vereine, bei dem einige Ideen geboren und neue Kontakte geknüpft wurden. // jst
Enkeltauglich und noch viel mehr
Vor 75 Jahren ist der erste Tourismusverein – damals noch unter dem viel hübscheren Namen – Verschönerungsverein im Ahrntal gegründet worden. Ein Grund zum Feiern und Anlass für eine Publikation, die aus ganz unterschiedlichen Blickwinkeln erzählt, wie der Tourismus das Ahrntal geprägt und verändert hat. Bei der alljährlichen Vollversammlung ist das Buch gerade vorgestellt worden. Eine Geschichte darin: Das Gespräch zwischen Anna Niederkofler und Michaela Nöckler, Großmutter und Enkelin, ehemalige und heutige Gastgeberin im Bühelwirt in St. Jakob. Das Interview in du-Form (im Ahrntal gehört das Du selbstverständlich dazu) zeichnet nicht nur die Entwicklung des Tourismus im Toule nach – es ist auch ein Gespräch der Generationen und ein Treffen zweier starker Frauen.
Der Bühelwirt ist einer jener Orte, an denen sich das Gestern und das Heute ganz wunderbar ergänzen. Ein Ort, der die Tourismusgeschichte des Ahrntals erzählt, an dem sich Generationen von Gastwirten verwirklicht haben, wo das Zurücklassen von Altem und das Probieren von Neuem verhandelt wurde und man heute sieht, dass umsichtige Tourismusentwicklung ein echter Mehrwert ist. Es ist ein schöner Herbsttag, als sich Anna Niederkofler und Michaela Nöckler in der gemütlichen Wohnung der Seniorin zum Gespräch treffen. Die Wohnung liegt nur etwas mehr als einen Steinwurf entfernt vom Bühelwirt, dem Ort, der über so viele Jahrzehnte ihr Leben geprägt hat und der heute von Enkelin Michaela mit ihrem Mann Matthias geführt wird. Der räumliche Abstand tut gut: Manchmal lassen sich die Dinge aus der Ferne klarer betrachten. Und doch bleibt der Bühelwirt mit seiner steil aufragenden Fassade im Blick – es ist ja auch die feste Größe im Leben beider Frauen.
PZ: Du hast über 50 Jahre ganz aktiv beim Bühelwirt gearbeitet. Welche Jahreszeit war dir die liebste?
Anna Niederkofler: Der Herbst. Ende September konnten wir zusperren und hatten auch mal Zeit, ein Stück mit dem Auto zu fahren, zur Messe nach Bozen zum Beispiel und auf Besuch zu Verwandten.
Michaela Nöckler: Das wundert mich jetzt, Mamme. Mir kam immer vor, du bist richtig aufgeblüht, wenn im Betrieb viel los war und die Hochsaison vor der Tür stand. Kein Wunder, die Saisonen waren früher ja auch viel kürzer, im Winter war es bedeutend ruhiger. Somit musstet ihr in die wenigen Sommermonate viel hineinpacken und euch anstrengen, es gab ja einiges abzuzahlen.

Michaela Nöckler und Anna Niederkofler (v.l.). Michaela Nöckler
Und deine liebste Zeit, Michaela?
Michaela Nöckler: Das Frühjahr, obwohl damit die Zeit kommt, in der eine lange Sommersaison bevorsteht. Das Erwachen der Natur ist einfach schön, solche Dinge sind mir immer wichtiger und fallen mir heute mehr auf. Im Herbst ist bei uns auch privat viel los, fast alle Geburtstage in der Familie fallen in diese Zeit. Und wenn dann Weihnachten vor der Tür steht und der Jahreswechsel, möchte ich allen um mich herum eine schöne Zeit bereiten, was manchmal stressig sein kann. Hast du den Frühling nicht doch lieber, Mamme?
Anna Niederkofler: Ich weiß nicht, mir ist es gleich. Am Wetter kann man eh nichts ändern. Wenn die Leute dazu die Möglichkeit hätten, dann würde es bald gar kein Wetter mehr geben, weil eh nie etwas recht ist.
Da bucht man den Urlaub, hofft auf Sonne und es regnet seit Tagen. Wie reagieren Urlauberinnen und Urlauber auf schlechtes Wetter?
Michaela Nöckler: Da merke ich den kulturellen Unterschied zwischen den Gästen ganz stark. Gäste aus dem Norden beschweren sich kaum, die nehmen das Wetter, wie es ist. Urlauber aus dem Süden sind hingegen sehr vom Wetter abhängig, was wohl daran liegt, dass sie häufig schönes Wetter gewohnt sind. Da bekommst du irgendwann als Gastgeberin echt ein Problem, auch wenn du es selbst gar nicht in der Hand hast.
Ihr seid beide über Umwege zum Tourismus gekommen.
Anna Niederkofler: Ich bin beim Obersigila aufgewachsen. Mein Vater hat als Vorarbeiter im Wald gearbeitet, die Mutter war daheim. Sie war eine, die sich gut wehren konnte – ohne sie hätte ich meinen ersten Beruf gar nicht ergreifen können. Ich wollte in Meran die Lehrerausbildung machen, aber Vater hat versucht, es mir auszureden. Heimweh würde ich dort bekommen, meinte er. Aber die Mutter sagte, das geht alles, wir lassen sie gehen, dann kann sie etwas Ordentliches lernen. Und so habe ich sie dann doch besucht, die Lehrerbildungsanstalt (lacht).
Michaela Nöckler: Wenn du das sagst, musst du immer lachen.
Anna Niederkofler: Anstalt, das ist doch zum Lachen, oder?
Hatten die Frauen in der Familie immer schon viel zu sagen?
Anna Niederkofler: Schon. Das fing ja schon mit Agnes, meiner Schwiegermutter und ihrer Schwester Notburga an. Sie ha-
ben den Bühelwirt um 1910 erbaut. Für die Genehmigung mussten die beiden Schwestern bis nach Innsbruck ans Landesgericht gehen, hier in der Gemeinde hieß es bloß, dass man nicht noch ein paar Frauen mehr brauche, die man danach erhalten müsse. So hat man damals über Frauen gedacht.
Deine erste Arbeitsstelle war aber nicht der Bühelwirt.
Anna Niederkofler: Weit gekommen bin ich aber nicht: Ich habe in der Grundschule in St. Jakob unterrichtet, sie liegt bis heute gleich in der Nähe vom Gasthaus. Zusammen mit der Locha Nanne, der Seniorchefin vom Hotel Talblick. Da haben wir später manchmal darüber gelacht, dass wir Lehrerinnen beide dann im Tourismus gelandet sind. Das Unterrichten hat mir immer gefallen. 1957 habe ich dann den Hansl geheiratet, der ja selbst auch Lehrer war, aber den Betrieb dann von seinen Eltern Agnes und Josef übernommen hat. Ich bin direkt mit eingestiegen, das ist so erwartet worden. Das habe ich im Nachhinein bereut: Ich habe die viele Arbeit unterschätzt und hätte noch vier, fünf Jahre ledig bleiben und in der Schule weitermachen sollen.
Michaela Nöckler: Mehr noch als eine Familie von Gastwirten, sind wir eine Lehrerfamilie. Opa hat ja auch lange parallel als Lehrer gearbeitet, was damals aufgrund der fehlenden Wintersaison recht gut zu vereinbaren war. Viele meiner Tanten und auch meine Mutter haben eine pädagogische Laufbahn eingeschlagen. Nach dem Wirtschaftsstudium hatte ich so eine unschlüssige Phase in meinem Leben und bin auch erstmal unterrichten gegangen. 2008 habe ich den Betrieb dann für ein Jahr auf Probe übernommen –und bin dann geblieben.
Was ist deine Aufgabe im Hotel?
Michaela Nöckler: Ich kümmere mich hauptsächlich um das Personal, bin an der Rezeption tätig und springe im Service ein, wenn ich gebraucht werde.
Anna Niederkofler: Das Personal war auch meine Hauptaufgabe. Um die Finanzen hat sich immer mein Mann gekümmert.
Michaela Nöckler: Bei uns ist es heute ähnlich. Mein Mann war bis zu seinem Einstieg im Betrieb in der Bank beschäftigt und behält den Überblick über die Zahlen.
Anna Niederkofler: Ach’, und das Bauen. Der Hansl hat so viel und gerne gebaut, und mir ist das manchmal richtig auf die Nerven gegangen. Einmal hat er zu hoch gebaut und musste das dann wieder rückgängig machen. Das war vielleicht eine Aufregung.
Michaela Nöckler: Beim Personal hat sich interessanterweise über die Jahre zwar sehr

viel verändert, gewisse Aspekte sind aber doch gleich geblieben. Schon damals war es nicht einfach, gute Leute zu finden.
Anna Niederkofler: Das stimmt. Ich bin oft herumgefahren und direkt in die Häuser gegangen, um nach Mitarbeitern zu suchen. Die Charaktere waren oft auch spannend.
Michaela Nöckler: An einen Koch in meiner frühen Kindheit erinnere ich mich noch ganz genau. Es war mir strengstens untersagt, an seinem Platz hinterm Herd vorbeizulaufen, natürlich aus Sicherheitsgründen. Das hat sich dermaßen bei mir eingebrannt, dass ich heute noch mit einem unguten Gefühl diese immer noch gleich gebliebene Position passiere. Ja, damals ging es in der Küche oft sehr temperamentvoll zu.
Anna Niederkofler: Ich bin am Abend öfters mit ihm in der Stube gesessen und sagte: Morgen muss es anders gehen, sonst muss ich dich gehen lassen. Und er meinte dann, dass er sich zusammenreißen werde.
Michaela Nöckler: Du musstest viel schlichten und vermitteln. Ich weiß dich stundenlang beim Zuhören. Und du hast auch oft weitergeholfen. Daran denke ich heute noch zurück und es hilft mir auch in meiner Arbeit.
Anna Niederkofler: Das Verantwortungsgefühl für die Menschen und den Betrieb bleibt einfach. Das ist ja bei dir auch so.
Was für Gäste machten in den 60er-Jahren im Bühelwirt Urlaub?
Anna Niederkofler: Am Anfang sind immer Busse gekommen und haben die Leute gebracht. Die Deutschen sind zwei, drei Wochen geblieben. In der Zeit haben wir einmal die Bettwäsche gewechselt, das weiß ich noch. Und bei den italienischen Gästen mussten wir die Betten wegtun und stattdessen ein Leintuch und eine Decke herrich-
ten. Das war in der Sommerzeit. Im Winter ging es erst los, als der erste Lift am Klausberg geöffnet wurde. Das hat mein Mann sehr unterstützt.
Wie haben sich die Gäste im Lauf der Zeit verändert?
Michaela Nöckler: Die Menschen sind viel reiseerfahrener geworden. Zudem sind heutzutage unzählige Destinationen in kurzer Zeit erreichbar. Die Stammgäste, so wie man sie früher kannte, gibt es heute kaum noch. Wir definieren heute einen Gast als Stammgast, wenn er bereits einmal bei uns im Hotel war. Viele Urlauber kehren zwar regelmäßig wieder zurück, aber nicht mehr immer zur gewohnten Zeit und mit langer Aufenthaltsdauer. Momentan freuen wir uns über eine sehr dankbare und entspannte Gästeschicht, die unser Angebot mit Interesse annimmt.
Ihr Immobilienberater im Pustertal!
+39 348 1681544
Gastwirte unter sich: Anna Niederkofler und ihr Mann Johann bei einer Bergtour mit Anna Stolzlechner (l.).


Markant: Beim Bühelwirt verbinden sich Wurzeln und Zukunft auf besondere Weise. Das Gespräch der beiden Frauen ist nur eine von vielen Geschichten aus dem Buch „75 Jahre Tourismus im Ahrntal“, das der Tourismusverein zum Jubiläum herausgegeben hat.
Das Ahrntal hat sich in den vergangenen Jahren und Jahrzehnten enorm weiterentwickelt. Was waren wichtige Meilensteine aus eurer Sicht?
Anna Niederkofler: Es ist gebaut und gebaut worden, das kann man wohl sagen. Für uns am Bühel war die Straße, die herauf gebaut wurde, sehr wichtig. Ja, und dann der Klausberg.
Michaela Nöckler: Opa war einer der ersten Aktionäre. Die Jahreshauptversammlung war für ihn bis zum Schluss einer der wichtigsten Termine im ganzen Jahr. Für den Tourismus war die Eröffnung des Skibergs sicher die wichtigste Maßnahme überhaupt.
Im Bühelwirt hat sich seit der Übernahme durch Michaela sehr viel getan. Ein neuer Trakt wurde dazugebaut, Alt und Neu verbinden sich auf interessante Weise. Erkennst du deine Handschrift im Gasthaus noch, Anna?
Anna Niederkofler: Die Stube und die kleinen Stibilan sind noch ganz ähnlich wie früher. Eine Polsterung für die Bänke haben wir damals als Reserve gekauft. Die konnte Michaela dann noch verwenden, als der Stoff abgenutzt war. Früher hat man schon bessere Produkte bekommen. Heute wäre ja recht, wenn alle zwei, drei Jahre alles ausgetauscht wird.
Aber doch nicht im Bühelwirt?
Michaela Nöckler: Wir achten schon sehr darauf, dass alles, was wir kaufen oder bauen, Bestand haben darf. Diesbezüglich haben wir sehr viel von unseren Architekten gelernt. Das Bewusstsein für wertige Materialien muss erst entwickelt werden, da die Anschaffungskosten oft höher sind. Längerfristig gesehen zahlt es sich aber aus.
Der Generationenwechsel ist eine der größten Herausforderungen in der Betriebsführung. So war es auch beim Bühelwirt. Für eine Zeit kümmerte sich Tochter Barbara um die Geschicke. Schließlich entschied sie sich, den Steinhauswirt, der ebenfalls im Familienbesitz war, zu übernehmen. Nicht aber, ohne
sich vorher abzusichern, dass es auch beim Bühelwirt weitergeht – mit Michaela.
Anna Niederkofler: Zum Glück wollte Michaela das. Was hätten wir denn unten getan? Alte Leute wie wir waren.
Michaela Nöckler: Meine Mutti war Lehrerin und hat in den Ferien immer im Bühelwirt gearbeitet. Einmal hat sie sogar ein Jahr lang ausgesetzt, weil ihr keinen Koch hattet. Ich habe große Teile meiner Kindheit im Hotel verbracht und gerne mit den Gästekindern gespielt und mitgeholfen. Es war nicht so, dass ich mir von Anfang an vorstellen hätte können, den Betrieb zu übernehmen. Das ist mit der Zeit gereift und auch deshalb, weil am Ende keine eurer sieben Töchter übernehmen wollte. Wir haben bei der Übergabe also eine Generation übersprungen.
Hat deshalb der Übergang so gut geklappt?
Michaela Nöckler: Das hat sicher dazu beigetragen. Das Verhältnis von Großmutter zur Enkelin ist vielleicht entspannter als das zu den eigenen Kindern, vieles sieht man dann mit mehr Abstand. Für meine Tanten und meine Mutter war es sicher nicht immer leicht. Loszulassen fiel meinen Großeltern schwer.
Anna Niederkofler: Heute ist ja vieles anders, das muss man erstmal verstehen. Als Michaela meinem Mann die Computerarbeit zeigen wollte, wollte er gar nichts davon wissen. Hör mir doch auf, mit dieser Maus, sagte er dann. Man kommt ja irgendwann auch nicht mehr ganz mit. Heute ist das Hotel ja ein Biohotel.
Michaela Nöckler: Noch so ein Wort, bei dem du immer lachen musst. Warum eigentlich?
Anna Niederkofler: Weil deine Kinder nicht essen dürfen, was sie wollen.
Michaela Nöckler: Die Mamme meint immer, mein Sohn bekommt nicht genug zu

Gestern und heute: die architektonische Entwicklung zeigt sich im Bühelwirt auch am Boden – zwischen Bar und Speisesaal.
essen oder jedenfalls nicht das, was er will. Was manchmal auch stimmt (lacht). Sie hilft Emanuel immer weiter. Nur beim Watten hält sie zu mir.
Anna Niederkofler: Ich bin immer froh, wenn jemand zu mir zum Essen kommt. Meine Tochter Mares kocht uns dann was Gutes.
Michaela Nöckler: Und abends watten wir dann. Emanuel mit Mares und du mit mir. Und wir verlieren meistens, aber das stecken wir gut weg. Du hast ja auch im Gasthaus viel und gerne mit den Männern gewattet, in der kleinen Stube.
Anna Niederkofler: Und manchmal habe ich auch geraucht. Wenn im kleinen Geschäft, das ich noch eine Weile geführt habe, niemand gekommen ist, dann bin ich rüber in die Gaststube und hab mir dort eine angezündet. Mein Mann mochte das nicht besonders. Überhaupt hatte er mich gern bei sich: Wenn ich unterwegs war, sagte er oft, dass ich nirgendwo Halt machen soll, sondern besser gleich wieder heimkomme.
Michaela Nöckler: Davon hast du dich aber nicht groß beeindrucken lassen. Mir kommt vor, du hast eigentlich immer das getan, was du tun wolltest. Das habe ich am Ende ja von dir gelernt. Selbstbestimmt meine Wege zu gehen und ehrliche Gastfreundschaft zu leben. // Interview: Verena Duregger
Martin Zimmerhofer
Caroline Renzler / silbersalz
Martin Zimmerhofer

NEUERÖFFNUNG IN WELSBERG

CL-OPTIKSTUDIO SETZT AUF PRÄZISION UND DESIGN
Gutes Sehen ist Lebensqualität“ – unter diesem Motto hat sich der 28-jährige Optikmeister in Welsberg, am Hauptplatz 2, seinen Traum vom eigenen Geschäft erfüllt. Mit der Gründung des CL-Optikstudios bringt er nach intensiven Umbauarbeiten frischen Wind und höchste fachliche Expertise in das Pustertal.
Nach seiner Meisterprüfung in Verona und einer fundierten Weiterbildung im Bereich Optometrie steht für ihn eines fest: Handwerkliche Präzision trifft hier auf modernste Technik. Das neue Studio überzeugt mit modernem Design und einer exklusiven Auswahl an Markenbrillen – von Sehbrillen über funktionale Sportmodelle bis hin zu modischen Sonnenbrillen.

WICHTIGE INFORMATIONEN
CL- Optikstudio des Ceravolo Luca
Hauptplatz 2, Welsberg 39035
Tel: 0474 861243
Mail: info@cl-optikstudio.it
Web: www.cl-optikstudio.it
Socials: Auf Instagram und Facebook unter CL-Optikstudio

SPEZIALISIERT AUF
INDIVIDUELLE SEHLÖSUNGEN
Der Fokus liegt auf maßgeschneiderten Lösungen. Neben der präzisen Gleitsichtglasanpassung und der Kontrolle von Kurzsichtigkeit bietet das CL-Optikstudio eine besondere Expertise bei Kontaktlinsen: Das Spektrum reicht von der einfachen Tageslinse bis hin zur komplexen Spezialanpassung harter Linsen. „Ehrliche Beratung und persönliche Betreuung stehen bei mir an erster Stelle“, so der Unternehmer. Wer eine exakte Sehanalyse und individuelle Lösungen sucht, ist bei ihm genau richtig. Ziel ist es, für jede Person die bestmögliche individuelle Sehlösung zu ermitteln.
Zur Eröffnung erhält jeder Kunde einen kostenlosen, professionellen Sehtest, die erste Probekontaktlinse gratis oder einen exklusiven Eröffnungsrabatt auf die erste Seh- oder Sonnenbrille // PR-Info

Öffnungszeiten:
Mo: 8:30-13:00
Di: 8:30-13:00 I 14:30 -19:00
Mi: 8:30-13:00 I 14:30 -19:00
Do: 8:30-13:00 I 14:30 -19:00
Fr: 8:30-13:00 I 14:30 -19:00
Sa: 8:30-13:00

Optikermeister Luca Ceravolo
HDS-BEZIRKSVERSAMMLUNG
Tourismus als zentraler Wirtschaftsfaktor im Fokus
Im Raiffeisen-Forum in Bruneck fand kürzlich die Bezirksversammlung des Wirtschaftsverbandes HDS Pustertal/Gadertal statt. Zahlreiche Wirtschaftstreibende aus dem gesamten
Bezirk nutzten die Gelegenheit zum Austausch über aktuelle Entwicklungen, wobei insbesondere das Wachstum und die Zukunft touristischer Destinationen im Mittelpunkt standen. Zudem wurden langjährige Mitglieder für ihre Treue geehrt.
Zum Auftakt betonte HdS-Bezirkspräsident Daniel Schönhuber die Bedeutung lebendiger und attraktiver Ortskerne. Diese seien sowohl für die einheimische Bevölkerung als auch für Gäste entscheidend und könnten nur durch ein gemeinsames Zusammenspiel von Wirtschaft, Politik und Gemeinden gesichert werden.
Auch Landespräsident Philipp Moser unterstrich die Rolle des Tourismus für die regionale Wirtschaft. Trotz funktionierender Nahversorgung und stabiler Handelsstrukturen sei der Tourismus ein unverzichtbarer Bestandteil: Rund 34 Prozent des Handelsumsatzes werden im Schnitt durch Gäste generiert. „Wir brauchen ihn“, stellte Moser klar und plädierte gleichzeitig für eine Stärkung kleiner und familiengeführter Betriebe.
GROSSER WERT DES TOURISMUS
Im Anschluss referierte Thomas Reiter, Direktor von Skirama Kronplatz, über „Wachstum als Erfolgsfaktor einer Destination am


Beispiel Kronplatz“. Er verwies darauf, dass der Tourismus zunehmend unter Druck stehe, etwa durch steigende Kosten, den Kli-
mawandel, wachsenden Wettbewerb und höhere Erwartungen der Gäste. Gleichzeitig warnte er vor einer zu einseitigen und

Thomas Reiter, Direktor von Skirama Kronplatz, hielt ein viel beachtetes Referat. rewe
HDS-Bezirkspräsident Daniel Schönhuber lud zur Versammlung. rewe

Prämiert wurden folgende Betriebe bzw. Mitglieder: Für 30 Jahre Mitgliedschaft Metzgerei Steiner aus Rasen/Antholz und Apotheke St. Barbara aus St. Georgen sowie für 40 Jahre Mitgliedschaft Waltraud Oberhuber in Happacher aus Kiens, Boutique Cilly Frieda Oberrauch aus Sand in Taufers und Trenker Johann aus Toblach.
oft emotional geführten Diskussion über Wachstum. Dieses werde heute schnell kritisch gesehen, obwohl es für viele Wirtschaftsbereiche eine zentrale Rolle spiele. Reiter hob hervor, dass Tourismus und Handel eng miteinander verflochten sind und die wirtschaftliche Bedeutung häufig sogar unterschätzt werde, da indirekte Effekte nicht immer berücksichtigt werden. Zugleich plädierte er für eine differenzierte Betrachtung von Herausforderungen wie Verkehrsbelastung. Diese sei nicht allein auf den Tourismus zurückzuführen, sondern auch auf Pendlerströme, Schülertransporte und alltägliche Mobilität.
ZUKUNFTSTHEMA UND EHRUNGEN
Ein wichtiges Zukunftsthema sieht Reiter in der stärkeren Nutzung von Nebensaisonen. Gerade Monate wie November oder Zeiträume außerhalb der klassischen Ferienzeiten bieten Potenzial. Neue Zielgruppen und Märkte könnten dazu beitragen, die Auslastung besser zu verteilen. Als Beispiel nannte er unterschiedliche Ferienzeiten in Europa, die gezielt genutzt werden könnten.
Abschließend wurde im Rahmen der Versammlung die langjährige Mitgliedschaft mehrerer Betriebe gewürdigt. Für 30 Jahre Mitgliedschaft wurden die Metzgerei Stei-
Ein Interview mit Dr. Carlo Sacchi
Wenn die Gelenke schmerzen: Was wirklich hinter Arthrose steckt
Dr. Carlo Sacchi, Facharzt für Orthopädie und Traumatologie im Med Center Sexten und bei Orthosacchi in Bruneck, erklärt im Gespräch, wie Arthrose entsteht, woran man sie erkennt – und was man selbst dagegen tun kann.
Herr Dr. Sacchi, was genau ist Arthrose?
Arthrose ist die Abnutzung des Knorpels – also jener Schicht, die unsere Gelenke schützt und reibungsloses Gleiten ermöglicht. Es gibt eine genetische Komponente, manche Menschen sind stärker betroffen. Gleichzeitig spielen Lebensstil und Belastung eine große Rolle.
Warum trifft es auch junge oder sportliche Menschen?
Bewegung ist grundsätzlich positiv, aber das richtige Maß ist entscheidend. Problematisch ist vor allem ein unregelmäßiger Lebensstil: unter der Woche kaum Bewegung und am Wochenende Überbelastung. Das kann den Knorpel schädigen. Regelmäßige, moderate Aktivität ist daher ideal.
Welche Rolle spielen Bewegung und Ernährung? Beides ist zentral. Die WHO empfiehlt mehrmals pro
Woche Bewegung mit moderater Intensität.
Auch Ernährung beeinflusst die Knorpelgesundheit: Viel Obst, Gemüse und antioxidative Stoffe wirken positiv, während Rauchen oder übermäßiger Alkohol eher schaden.
ner GmbH aus Rasen/Antholz sowie die Apotheke St. Barbara aus St. Georgen ausgezeichnet. Auf 40 Jahre Mitgliedschaft blicken Waltraud Oberhuber in Happacher aus Kiens, die Boutique Cilly Frieda Oberrauch aus Sand in Taufers sowie die Bäckerei Trenker Johann aus Toblach zurück.
Die Jahreshauptversammlung machte deutlich, dass der Tourismus weiterhin eine tragende Säule der lokalen Wirtschaft darstellt. Gleichzeitig ist aber eine ausgewogene und sachliche Auseinandersetzung mit seiner Entwicklung unumgänglich.
// Reinhard Weger
gung, gutes Schuhwerk und vor allem ein normales Körpergewicht sind entscheidend. Übergewicht belastet die Gelenke massiv – beim Gehen wirkt ein Vielfaches des Körpergewichts auf das Knie.
Welche Therapien helfen?
Physiotherapie stärkt die Muskulatur und stabilisiert das Gelenk. Zusätzlich können Infiltrationen sinnvoll sein: Dabei werden Wirkstoffe direkt ins Gelenk eingebracht; häufig Hyaluronsäure zur Verbesserung der Gelenkschmierung. Auch moderne Verfahren wie Stammzelltherapien können den Knorpel unterstützen.

Woran erkenne ich Arthrose?
Typisch sind eher diffuse Schmerzen, vor allem bei oder nach Belastung, manchmal auch nachts. Häufig kommt es zu Schwellungen, etwa „Wasser im Knie“. Da die Symptome unspezifisch sind, ist eine ärztliche Abklärung wichtig.
Kann man Arthrose aufhalten? Man kann ihr entgegenwirken. Regelmäßige Bewe-
Arthrose ist kein Schicksal, dem man hilflos ausgeliefert ist. Mit dem richtigen Lebensstil und gezielten Therapien lässt sich der Verlauf oft deutlich positiv beeinflussen.
Med Center Sexten
Dolomitenstraße 45/1 - Sexten
E-Mail: medcentersexten@gmail.com
Tel.: 0474 869 233 - 377 357 422
Orthosacchi
Stadtgasse 43 - Bruneck
E-Mail: medcentersexten@gmail.com
Tel.: 349 818 0024

Anzeige

GELUNGENE
PREMIERE IN KIENS
„A
WATTERLE GEFÄLLIG?“
Ein geselliger Nachmittag ganz im Zeichen des Kartenspiels: Auf Einladung der Unternehmerfamilie Rubner fand in der neuen Betriebsmensa von Rubner-Türen in der Industriezone von Ehrenburg erstmals ein Preiswatten für Gemeindebürger statt. Insgesamt 106 Teilnehmer jeden Alters traten paarweise gegeneinander an und sorgten für beste Stimmung. Neben dem sportlichen Ehrgeiz stand vor allem das Miteinander im Mittelpunkt. Die Veranstaltung wurde von Josef Engl umsichtig koordiniert, der auch als Schiedsrichter für einen reibungslosen Ablauf sorgte. Für das leibliche Wohl war bestens gesorgt, was zusätzlich zur angenehmen
„ZUKUNFT WOHNEN“

Atmosphäre beitrug. Unter den Teilnehmern befanden sich auch bekannte Persönlichkeiten wie Bürgermeister Markus Mitterhofer, Markus Falkensteiner, Franz Pircher sowie Altlandeshauptmann Luis Durnwalder, selbst ein überaus begeisterter Watter. Den Sieg sicherten sich schließlich Walter Plaikner und Herbert Weger, die sich im Finale gegen das erfahrene Duo Siegfried Seeber und Kurt Einhäuserer durchsetzen konnten. Auf den weiteren Plätzen folgten Alois Steidl und Franz Pescosta sowie Georg Riegler und Alois Nagler. Den sogenannten „Potzer-Preis“ erhielten die Schwestern Lissa und Luise Pörnbacher.
Die positive Resonanz und das herzliche Miteinander machten das erste Watt-Turnier zu einem vollen Erfolg. Für die Organisatoren steht bereits fest: Eine Fortsetzung im nächsten Jahr ist geplant. // rewe
150 JUNGE BESUCHENDE SIND MIT VON DER PARTIE
Trotz strahlendem Frühlingswetter fanden vor kurzem rund 150 junge Kundinnen und Kunden den Weg zur Veranstaltung „Zukunft Wohnen“ der Raiffeisenkasse Tauferer und Ahrntal – und füllten den Saal bis auf den letzten Platz. Das enorme Interesse zeigt deutlich, wie präsent und bedeutend das Thema Wohnbau für die junge Generation aktuell ist.
Auf dem Programm standen drei abwechslungsreiche und informative Fachvorträge, die von kurzen Pausen begleitet wurden und genügend Raum für Austausch und Fragen boten. Die Themenbreite reichte von Bauqualität über rechtliche Neuerungen bis hin zu steuerlichen Begünstigungen. Den Auftakt machte Florian Weger, Bausachverständiger und zertifizierter Baubiologe, der über die Bedeutung sorgfältiger Baukontrolle für eine sichere Bauqualität sprach. Ulrike Großgasteiger, Wohnbauberaterin der Raiffeisenkasse Tauferer- und Ahrntal, stellte im Anschluss die neue Wohnbaureform

vor und erläuterte die wichtigsten Änderungen und Chancen für künftige Bauherrinnen und Bauherren. Den Abschluss bildete Markus Aschbacher, Steuerexperte des LVH, mit einem praxisnahen Überblick über steuerliche Begünstigungen bei Sanierung, Neuund Umbau sowie beim Immobilienkauf.
Im Anschluss an jeden Vortrag standen sowohl die Referenten als auch die Kundenberater für individuelle Gespräche und vertiefende Informationen zur Verfügung. Dieses persönliche Format wurde von den Besucherinnen und Besuchern besonders geschätzt. // am
Das Wohnbau-Team der Raiffeisenkasse Tauferer- und Ahrntal organisierte die viel beachtete Aktion.
Wahrlich echte Watt-Profis: Ein zünftiges Wattturnier in erlesener Runde…
Die Siegerinnen und Sieger des gelungenen Watt-Turniers bei Rubner-Türen.
ERFOLGREICHE OSTEROCHSENVERSTEIGERUNG
Die traditionelle Osterochsenversteigerung des Kovieh am 17. März 2026 in St. Lorenzen lockte auch heuer zahlreiche Besucher an und bestätigte einmal mehr ihren Stellenwert als besonderer Treffpunkt für die bäuerliche Welt. Die Markthalle war bis auf den letzten Platz gefüllt, und rund 320 angelieferte Tiere sorgten für ein umfangreiches und abwechslungsreiches Programm.
Bereits am Vormittag startete die Versteigerung mit Kühen und Rindern außerhalb der Qualitätskategorien, ehe am frühen Nachmittag die hochwertigen Tiere im Mittelpunkt standen. Den musikalischen Rahmen gestaltete Elmar Gatterer aus Pfalzen, während Obmann Michael Treyer zur Eröffnung der Versteigerung der Gsieser Almochsen zahlreiche Ehrengäste begrüßen konnte, darunter Landesrat Luis Walcher und Landtagsabgeordneter Franz Locher. In ihren Grußworten betonten sie die Bedeutung der Tierzucht und der regionalen Lebensmittelproduktion.
Ein Höhepunkt der Veranstaltung war die Versteigerung der 23 Gsieser Almochsen mit geschütztem Gütesiegel. Die Tiere, die im Durchschnitt rund 800 Kilogramm wogen, erzielten einen beachtlichen Durchschnittspreis. Den Tageshöchstpreis erreichte der Ochse „Genne“ von Untersteiner Andreas aus Gsies, der zu 13,00 Euro pro Kilogramm an eine Metzgerei aus Terlan verkauft wurde. Die strengen Kriterien für das Gütesiegel – darunter Herkunft, Rasse und Almaufenthalte – unterstreichen die besondere Qualität dieser Tiere.
Auch die weiteren Qualitätstiere überzeugten mit sehr guten Preisen, was die hohe Qualität der Zuchtarbeit in der Region widerspiegelt. Begleitet wurde die Versteige-



rung von einem kleinen Bauernmarkt, der mit traditionellen Spezialitäten wie Krapfen und Tirtlen zusätzlich für ein stimmungsvolles Ambiente sorgte.
Im Rahmen der Veranstaltung wurden auch besonders engagierte Käufer gewürdigt. Die Aspiag aus Bozen sowie Weger aus Sand in Taufers erhielten für ihre Ankäufe eine besondere Anerkennung. Zudem wurden alle
Käufer eines Gsieser Almochsen mit einem Erinnerungsbild bedacht.
Die Osterochsenversteigerung zeigte sich einmal mehr als gelungene Veranstaltung, bei der Tradition, Qualität und Gemeinschaft im Mittelpunkt stehen. So wird die enge Verbundenheit der Region mit ihrer landwirtschaftlichen Kultur eindrucksvoll zum Ausdruck gebracht. // Reinhard Weger

Verunreinigung durch Gülle sorgt für Kritik
Ein aktueller Vorfall im Gemeindegebiet von Pfalzen hat für Unmut in der Bevölkerung gesorgt. Entlang der Strecke von Greinwalden bis zur Schranke Richtung St. Georgen wurde eine deutliche Spur von ausgebrachter Gülle festgestellt. Neben der Geruchsbelästigung führte dies auch zu Sorgen hinsichtlich möglicher Auswirkungen auf Umwelt und Trinkwasser.
Auf eine entsprechende Bürgerbeschwerde hin hat sich Vizebürgermeister Martin Seeber ein persönliches Bild der Situation vor Ort gemacht. In der Folge wurde der zuständige Referent für landwirtschaftliche Belange, Hannes Hopfgartner, beauftragt, den Kontakt mit den betroffenen Landwirten aufzunehmen. Laut Seeber wurde zugesichert, dass über den Ortsbauernrat eine Information an alle Landwirte weitergeleitet wird. Ziel sei es, „das Bewusstsein für den sensiblen Umgang mit öffentlichen Flächen zu schärfen und ähnliche Vorfälle künftig zu vermeiden“. In der Bevölkerung hatte der Vorfall auch Besorgnis über die Qualität des Trinkwassers ausgelöst. Nach Einschätzung der Gemein-
de besteht jedoch vermutlich kein direkter Zusammenhang zwischen der Gülleausbringung auf den betroffenen Grünflächen und der Trinkwasserversorgung. Gleichzeitig wurde hervorgehoben, dass die Landwirte im Wasserschutzgebiet von Pfalzen bereits Maßnahmen zur Verbesserung der Situation umgesetzt haben. Zu erwähnen ist, dass seinerzeit eine Trinkwasserquelle bereits vom Netz genommen werden musste (die PZ hat darüber berichtet).
Seitens der Gemeinde wird betont, dass derartige Vorfälle sehr ernst genommen werden. Gleichzeitig hofft man, durch verstärkte Kommunikation und Sensibilisierung künftig ein verantwortungsvolles Ver-


Vizebürgermeister Martin Seeber
halten im Umgang mit landwirtschaftlichen Flächen sicherzustellen. // rewe

EIN NEUES HERZSTÜCK FÜR DIE RIENZSTADT
Wer durch die Stadtgasse schlendert, entdeckt seit kurzem ein frisches Highlight: Alplove. Die Trachtenboutique bietet genau das, was der Rienzstadt noch gefehlt hat - Mode mit Seele, Tradition mit modernem Schliff und viel Liebe zum Detail.
Die Storeleitung der neuen Trachtenboutique liegt in den Händen von Sonja Gietl. Neben der persönlichen Beratung verantwortet sie künftig auch die sorgfältige Auswahl des Sortiments. Für sie ist Mode weit mehr als nur ein Geschäft: „Es ist meine Leidenschaft“, verrät sie strahlend. Ihr Ziel ist klar definiert: „Mode ist dann perfekt, wenn sie zeitlose Eleganz mit hochwertiger Verarbeitung vereint.“ Diese Haltung spürt man, sobald man den Laden betritt.
QUALITÄT, DIE MAN FÜHLEN KANN
Im Mittelpunkt des Sortiments stehen Dirndl und Lederhosen, die durch ihre Qualität überzeugen. Das Angebot geht jedoch weit darüber hinaus: Eine schöne Auswahl an Strickjacken, klassischen Hemden, verspielten Blusen, modernen Jeans und stilvollen Hüten lädt zum Stöbern ein – für Erwach-

sene und Kinder. Hier findet jeder sein neues Lieblingsteil, das nicht nur heute passt, sondern über Jahre hinweg Freude bereitet.
BESONDERE AKZENTE FÜR ZU HAUSE
Was Alplove so besonders macht, ist der Blick fürs Ganze. Neben Kleidung finden sich in der Stadtgasse 45 auch liebevoll ausgewählte Wohnaccessoires wie individuell gravierte Gläser. Sie spiegeln jene Detailverliebtheit wider, die dem Team besonders am Herzen liegt.
Wir sind Bank mit Herz. Wir sehen nicht nur Zahlen, sondern auch die Menschen dahinter.
Herz-Momente sind auch unsere und einige davon teilen wir hier mit euch:
Wer Wert auf Regionalität, Qualität und persönliche Beratung legt, sollte bei Alplove vorbeischauen - und sich von der Begeisterung für Mode und Tradition anstecken lassen.
Stadtgasse 45 I-39031 Bruneck www.alplove.com
// PR-Info

Ingrid Kofler Raiffeisen Elternberatung
Foto: Manuel Kottersteger / Werbemitteilung
Mit Gespür für Stil und Qualität: Storeleiterin Sonja Gietl bei Alplove in Bruneck.




BESCHICHTUNGEN KUNSTHARZBESCHICHTUNGEN


INDUSTRIEBÖDEN BETONBEHANDLUNGEN


Lainach 117 9833 Rangersdorf
Tel. +43 4822 / 7211 office@suntinger-wallner.com www.suntinger-wallner.com

Historische Gebäuden, Fresken, Malerei, Gemälde, bildhauerische Gestaltung, Skulpturen und Stuck info@artess.info I www.artess.info
Historische Gebäuden, Fresken, Malerei, Gemälde, bildhauerische Gestaltung, Skulpturen und Stuck
info@artess.info I www.artess.info SANIERUNG DES WESTFLÜGELS AUF BURG HEINFELS
Ein neues kulinarisches Kapitel
Seit dem 17. März 2025 werden im Westflügel von Burg Heinfels umfassende Sanierungs- und Ausbauarbeiten durchgeführt. Der historische Trakt wird seitdem mit größter Sorgfalt ausgebaut, um Tradition und zeitgemäße Nutzung in eine harmonische Balance zu bringen. Im Mai 2026 wird das gesamte Areal wieder zugänglich sein.
Im Mittelpunkt der Bauarbeiten standen die Inbetriebnahme des neuen Küchenturms im Norden sowie die umfassende Erneuerung von Keller- und Erdgeschoss, die sich jetzt den Gästen als Taverne, Rittersaal und Bistro in neuem Glanz präsentieren. Der neue Bereich ergänzt die bestehenden Säulen Museum und Events auf ideale Weise und erweitert das Gesamterlebnis Burg Heinfels um eine einladende, kulinarische Dimension, die für alle zugänglich und leistbar ist.
Bei der Umsetzung wurde bewusst auf die Expertise einheimischer Unternehmen zurückgegriffen. Insgesamt waren über 25 Firmen am Projekt beteiligt.
Bis zur geplanten Eröffnung Anfang Mai 2026 werden sämtliche Arbeiten abgeschlossen sein – darunter auch die Materialseilbahn, die künftig vom Parkplatz auf der Nordseite aus eine effiziente Versorgungslogistik sicherstellt. Im Zwinger der Burg entstand seitens des Museumsvereins Burg Heinfels zudem – gemeinsam mit einem neuen Materiallager – eine großzügige Greifvogelvo-

liere, die den zukünftigen Stars der Flugschau ein artgerechtes neues Zuhause bietet. Seit September 2025 verantwortet Marco Perez als Geschäftsführer den Aufbau des neuen gastronomischen Angebots und hat die Entwicklung des Konzepts sowie dessen Umsetzung wesentlich geprägt. Als künftiger

Gastgeber für 60 Besucher in der atmosphärischen Taverne im historischen Kellergewölbe sowie mit weiteren rund 100 Plätzen im Rittersaal und im Bistro auf Burghof-Ebe-


ne gestaltet Perez die kulinarische Ausrichtung der Burg entscheidend mit und wird so zu einem maßgeblichen Architekten des gesamten Burgerlebnisses. // bo











WWW.TKELEVATOR.AT


Gelungener Auftakt in Bruneck für’s Land

Mit einem genussvollen Aperitivo Lungo, vielen Begegnungen und einem Konzert startete der Katholische Familienverband Südtirol (KFS) vor kurzem im Nobis in Bruneck feierlich in sein Jubiläumsjahr. Das Motto „60 Jahre KFS – feiern, danken, weitertragen“ ist Jahresprogramm und Auftrag zugleich.
Zahlreiche Gäste, Familien und Freunde des Verbandes folgten der Einladung und machten den Auftaktbenefizabend zu einem stimmungsvollen Treffpunkt der Begegnung. Bereits ab 18.00 Uhr lud im Foyer ein Aperitivo Lungo zum Verweilen ein, der von einer engagierten Schülerprojektgruppe der Landeshotelfachschule Bruneck gestaltet wurde. In entspannter Atmosphäre nutzten viele Besucherinnen und Besucher aus der KFS-Großfamilie und darüber hinaus die Gelegenheit, miteinander ins Gespräch zu kommen und gemeinsam auf sechs Jahrzehnte Familienarbeit in Südtirol anzustoßen.
DIE FAMILIEN IM MITTELPUNKT
„Was 1966 mit Mut, Weitblick und einem tiefen Glauben an die Kraft der Familie begann, ist heute die größte Familienstruktur Südtirols: Rund 15.000 Mitgliedsfamilien bilden ein starkes Netzwerk, das trägt, verbindet und Halt gibt. Darauf dürfen wir mit Stolz blicken – aber vor allem mit Dankbarkeit!“, freute sich KFS-Präsidentin Sieglinde Aberham in ihrer Begrüßungsrede und weiter: „Der KFS ist vor allem ein Ort, an dem Familie nicht nur Thema, sondern gelebte Wirklichkeit ist. Denn Familie ist auch in Zukunft das Fundament unserer Gesellschaft.“ Seit sechs Jahrzehnten begleitet der Verband Familien in ihrem Alltag, setzt Impulse für ein familienfreundliches Miteinander und schafft Räume für Begegnung und Gemeinschaft. Der Auftaktabend stand zugleich im Zeichen der Solidarität, denn wie KFSVizepräsidentin Angelika Mitterrutzner in ihrer u.a. Rolle als Leiterin des KFS-Fachausschusses „KFS-Famile in Not (FiN)“ be-

KFS-Präsidentin Sieglinde Aberham und KFS-Vizepräsidentin Angelika Mitterrutzner
tonte, „verbindet der Verband einmal mehr das Feiern bewusst mit einem karitativen Gedanken, ganz im Sinne unserer Werte von Zusammenhalt und gegenseitiger Unterstützung. Der Reinerlös kommt unserem FiNSpendenkonto zugute“.
Für musikalische Höhepunkte sorgte anschließend die Ahrntaler Gruppe „Frisch g’strichn“. Unter dem Jubiläumsmotto „Feiern. Danken. Weitertragen.“ wird der KFS im Laufe des Jahres mit verschiedenen Veranstaltungen im ganzen Land das Jubiläum begehen und gleichzeitig den Blick nach vorne richten. Begegnung, Gemeinschaft und das Engagement für Familien sollen dabei weiterhin im Mittelpunkt stehen.
Der gelungene Auftaktabend in Bruneck machte deutlich: Der Katholische Familienverband Südtirol ist auch nach 60 Jahren eine lebendige Gemeinschaft, die Menschen verbindet und Familien stärkt. // bea


MUSIKKAPELLE VON ST. JOHANN
ZWEI MAL VIER JAHRZEHNTE WERDEN GEFEIERT
Wenn am Ostermontag die Musikkapelle von St. Johann zum traditionellen Osterkonzert einlädt, ist es für zwei ihrer Musikanten das vierzigste Mal. Vier Jahrzehnte musizieren, vier Jahrzehnte proben und ausrücken, bei Prozessionen, Standkonzerten, Zeltfesten und Wertungsspielen, kirchlichen und weltlichen Anlässen, bei Sonne, Wind und Wetter. Dass sie im festlichen Rahmen dafür geehrt werden, ist ein kleiner Dank für die jahrzehntelange Treue zur Kapelle. Die Rede ist von Andreas Oberkofler und Thomas Issinger. Der eine als Trompeter, der andere ehemals Klarinettist und jetzt an der Tuba tätig. Wenn sie sich auch bei der Instrumentenwahl unterscheiden, haben sie doch viele Gemeinsamkeiten. Sie sind Nachbarn, sind auf einem Bauernhof aufgewachsen, im selben Jahr geboren und tragen beide einen apostolischen Namen. Und wäre dies der Übereinstimmungen noch nicht genug, sind sie auch noch Cousins.
GELEBTER EHRENAMTLICHER EINSATZ
Andreas Oberkofler hat im Alter von neun Jahren mit dem Trompetenunterricht angefangen. Alle seine Kollegen haben sich damals für die Klarinette entschieden, für ihn kam nur das Blechblasinstrument in Frage. „Trompete, oder nichts!“ so sein Leitsatz. Sein Talent wurde gleich entdeckt, mit 14 Jahren hat er schon die Prüfung für das Leistungsabzeichen in Gold absolviert. Nach dem Militärdienst hat er – als Privatist in der halben Zeit - den Diplomlehrgang an der Trompete am Konservatorium in Trient abgeschlossen und ist seitdem als Musiklehrer tätig. Seit 31 Jahren spielt Andreas beim Blechblasensemble Unknown Brass Band. Als gefragter Trompeter ist er im ganzen Land unterwegs und lässt bei Kammermusikkonzerten seine Barocktrompete erklingen. Bigband, symphonische oder klassi-


sche Musik, er spielt alles gerne, nur mit der zeitgenössischen Musik kann er sich nicht so recht anfreunden. Ob er je an einen Instrumentenwechsel gedacht hat? Nie, sagt er, wenn’s mit der Trompete nicht mehr ginge, würde er aufhören...
DIE MUSIKALISCHE VIELFALT
Thomas Issinger hat an der Klarinette seine musikalische Laufbahn begonnen. Auch er absolvierte alle Prüfungen zum Jungbläserleistungsabzeichen schon in jungen Jahren. Er war lange ein begeisterter Klarinettist, hat zeitweise bei drei Musikkapellen gespielt und sich mit Ensembles und in kleinen Grup pen bei Wettbewerben gemessen. Das Spie len an der Klarinette war seine Leidenschaft, doch als in seiner Musikkapelle Not an der Tuba war, hat er sich an diesem großen Ins trument versucht und ist dabei geblieben. Obwohl er manchmal doch noch dem Holz blasinstrument nachtrauert, denn eine italie nische Ouvertüre mit vielen technischen Her ausforderungen würde er schon gerne einmal spielen. Doch für zwei Instrumente reicht die Zeit nicht, als Bauer und Tierkennzeichner in den Gemeinden Ahrntal und Prettau ist er
zeitlich gefordert. Mittlerweile spielt er nur noch bei seiner Heimatkapelle in St. Johann, und - wie er sagt - „so schnell werden die mich nicht mehr los!“ Die Musikkapelle St. Johann wird’s freuen... Gemeinsam mit seinen Musikkollegen/-innen werden Andreas Oberkofler und Thomas Issinger das Osterkonzert mit Kapellmeister Daniel Niederegger am Ostermontag mit Beginn um 20 Uhr in der Mehrzweckhalle in Luttach zur Aufführung bringen. // mg


Andreas Oberkofler, seit 40 Jahren Musikant in St. Johann.
Thomas Issinger ist Tubist mit Leidenschaft und seit 40 Jahren aktiv. alle Fotos: MK St. Johann
Die Musikkapelle St. Johann lädt zum Konzert.
Das starke Band
Im „Piccolo Lord“ in Bruneck, bei romantisch gedämpftem Licht, fand am Abend des 24. Februar 2026 eine intensive künstlerische Begegnung statt. Die bekannte, aus Paris stammende und zur Zeit in Terenten lebende Künstlerin Sylvie Riant stellte einige ihrer neuesten Werke dem versammelten Rotary-Club Brixen vor.
In einführenden Worten erklärte Präsident Roger Pycha den Werdegang der Künstlerin, die seit 30 Jahren parallel zu ihrem künstlerischen Werdegang auch als engagierte Kunsttherapeutin an der Psychiatrie Bruneck tätig war und ist und eine entsprechende mehrjährige psychoanalytische Ausbildung in Paris absolviert hat. Dieser Umstand hat ihr Werk sehr beeinflusst; sie hat neue Formate entwickelt, in denen sie gerade auch psychisch kranken Menschen zu künstlerischem Ausdruck verhilft, und mit ihnen zusammen Ergebnisse schafft, die auch vergänglich sein können. Bekannt ist die Reise einer solchen Künstlergruppe nach Lothringen in einen Künstlerwald zur Vorstellung des Werkes „Backbone“, das aus regelmäßigen Segmenten eines liegenden Baumstammes mit darauf sitzenden Menschen besteht; der zerlegte Stamm ist noch heute im Sinne der „Land Art“ dort und erinnert daran. Ein anderes Kunstunternehmen war die Reise der Künstlerin in die Wüste nach Marokko zusammen mit zwei Patienten, von denen jeder in der Folge eine künstlerische Laufbahn einschlug. Ergebnisse der Reise waren verschiedene Foto- und Videokunstwerke. „Als Künstlerin bin ich alles, nur keine Malerin“, sagt Sylvie Riant von sich. Allerdings existieren aus ihren früheren Zeiten beeindruckende Gemälde wie „La petite mort“, die ein erschöpftes Liebespaar nach dem Höhepunkt darstellt, der im Fran-
Vortrag von Viktor Philippi, Buchautor „Gesund werden mit System“, mit Heilmotivation im Anschluss Wie kann ich mir und meiner Gesundheit besser helfen
Donnerstag, 16.04.2026 | 19:00 Uhr
Vereinshaus Pfalzen
Anselm-Sparber-Straße 1 , I- 39030 Pfalzen

zösischen auch „Der kleine Tod“ genannt wird. Das Werk zierte viele Jahre den Sitzungssaal der Psychiatrie Bruneck.
GROSSES AUFSEHEN


Eintritt 50 € an der Abendkasse, Kinder unter 12 Jahren frei, ohne Voranmeldung, Einlass ab 18:30 Uhr Anmeldung zur Online-Teilnahme: www.philippimethode.de/vortragsreihe-mit-viktor-philippi Seelenwellness GmbH -Italien-
Rotary hat die Künstlerin viele Jahre begleitet. Im Auftrag der Selbsthilfeorganisation psychisch Kranker „Lichtung“ schuf Riant immer wieder beeindruckende, aufrüttelnde Kunstwerke, die ohne den Unkostenbeitrag von Rotary Brixen nicht entstanden wären. Sie wurden wiederholt zum Welttag der Psychischen Gesundheit und zum Tag der Depression, am ersten Oktober, öffentlich gezeigt. Diese Kurzfilme erregten im Krankenhaus Bruneck großes Aufsehen, wurden sie doch von der Decke auf den Boden der Eingangshalle projiziert, und veranlassten Besucher und Bedienstete zum Ausweichen. Die erste Produktion dieser Art war „Entfessle mich“, wo die Künstlerin sich mit Mühe der
Depression, die als roter Faden dargestellt ist, entwindet. Mit zwei Videokunstwerken führte Sylvie in ihr jüngstes Schaffen ein: Beeindruckend ist „Der Rollator“, der feierlich von fließenden Gewändern befreit wird, mit brennenden Kerzen versehen in ein weihnachtliches Ritual gebracht und schließlich von der Künstlerin über harten Waldboden in einen Weiher geschoben wird, wo er sich im Wasser auflöst. Mit feinem französischem Akzent erklärte dabei die Künstlerin den Hintergrund, Rollator als Hilfsmittel, das jedem alternden Menschen irgendwann zugute kommt, ihn aufrecht hält, zur wichtigen rituellen Stütze wird und ihn zuletzt bei der Rückkehr zu den Urelementen begleitet. Diese durchaus schwierige Botschaft wird voller Sanftheit, feierlich und mit viel Poesie vermittelt.
NEUE ÄSTHETIK
Das zweite Werk war der „Weibliche Golem“, eine Umschreibung der jüdischen Tradition, ein menschenähnliches furchteinflößendes Wesen aus Lehm schaffen zu können, das durch eine Buchstabenkombination auf der Stirne totgestellt werden kann. Sylvie Riant deutet diese angstbesetzte Sage feministisch um, es geht um ein kräftiges, lehmverschmiertes weibliches Wesen, das vielmehr durch dasselbe Ri-
tual zum Leben erweckt wird und als Frau selbst neues Leben wird schenken können. Den Abschluss bildete Sylvie Riants Anteil an der berühmten Brunecker Begegnung zwischen moderner Kunst und Kirche, die von 2024 bis 2025 in den Kirchen, Friedhöfen und dem Museum von Bruneck unter dem Motto „Epiphanie oder der Zweifel des Atheisten“ stattfand und von 14 Künstlern gestaltet wurde. Sylvie Riant widmete sich Salomons „Hohelied der Liebe“, zeigte in der Kapuzinerkirche zwei Videowerke dazu, die 50 Minuten dauern. In einem waschen sich ein Mann und eine Frau gegenseitig Dreck vom Leib, da verschränkt sich Liebe mit Fürsorge in Richtung zunehmender Schönheit.



Mercedes-Benz Sprinter
Die 50 Minuten hätten die Zeitgrenzen des Abends überschritten, weshalb Sylvie Riant das wagemutige Projekt nur anhand einiger Bilder beschrieb. Beeindruckt von der Intensität ihrer Kunst und von der Fragilität ihrer Objekte zollten die Clubmitglieder






Wilde Jahre und mehr...
Am 6. März 2026 fand in der Trenker-Stube des Hotel Rainer in Sexten eine besondere Buchvorstellung statt. Die Autoren Paul Rösch und Patrick Rina präsentierten dort ihr neues Werk „Wilde Jahre. Tourismus in Südtirol 1961–1983“, erschienen im Raetia Verlag.
Die Veranstaltung bot den zahlreichen anwesenden Gästen spannende Einblicke in eine prägende Zeit der Südtiroler Tourismusgeschichte. Mit lebendigen Erzählungen und historischen Hintergründen zeichneten die Autoren die Entwicklungen und Herausforderungen jener Jahre nach, in denen sich der Tourismus im Land stark wandelte und vielerorts neu entwickelte. Auch der Historiker Hans Heiss war an diesem Abend anwesend und bereicherte die Vorstellung mit seinem Fachwissen und zusätzlichen historischen Perspektiven. Für das Hotel Rainer hatte die Buchpräsentation eine besondere Bedeutung. Die im Buch behandelte Zeit betrifft auch die Geschichte des Hauses selbst: Tourismuspionier Willi Rainer prägte in dieser Phase die touristische Entwicklung im Hochpustertal

Unser Wald – Schützt vor Naturgefahren.

Bei der Vorstellung (von links): Chris Rainer, Hans Heiss, Willi Rainer, Paul Rösch und Patrick Rina. Zahlreiche Gäste
entscheidend mit. Entsprechend befasst sich ein Kapitel im Buch beispielgebend mit den Anfangsjahren des familieneigenen Hotels. Die gelungene Veranstaltung bot somit nicht nur historische Einblicke, sondern auch einen persönlichen Bezug zur regionalen Tourismusgeschichte. Das Buch kann käuflich erworben werden. // hm

WELTUNTOGONG
Die Heimatbühne von Sand in Taufers präsentiert im Bürgersaal von Sand ihr neues Stück „Weltuntogong“. Regie führt Georg Aichner. Premiere ist am 15. April 2026.
In einer mittelgroßen Ortschaft in einem schönen Tal in den Bergen geht das Leben so seinen Gang. Es gibt Reiche und Ärmere, Alte und Junge, Verliebte und solche, die es einmal waren oder sich noch verlieben möchten.
In diese Alltags-Idylle mischen sich auf einmal seltsame Zeichen. Verschiedene Bewohner beobachten unheimliche Vorgänge in der Natur oder an sich selbst, welche auf etwas Ungewöhnliches hinweisen.
Als sich dann auch noch der Pfarrer einmischt und sich diese Geschehnisse und einen alten Zeitungsbericht zunutze macht, um dem Wasserfallwirt Gaudinger, der die Beziehung seines Sohnes Schorsch mit der Post-Emma sabotiert, eines auszuwischen, heißt es auf einmal: „Die Welt geht unter!“. Die Hiobsbotschaft von einem bevorstehenden Kometeneinschlag nutzen die Menschen, um Versäumtes nachzu-
DIE TERMINE
Mittwoch 15.04. 20.00 Uhr (Premiere)
Freitag 17.04. 20.00 Uhr
Samstag 18.04. 20.00 Uhr
Sonntag 19.04. 17.00 Uhr

holen und das Leben im letzten Augenblick noch einmal richtig zu genießen. Der Geizige wird spendabel, der Förster versöhnt sich mit dem Wilderer, die Kellnerin gesteht einem begriffsstutzigen Gast endlich ihre Liebe, der Pantoffelheld wird zum Haustyrannen und der Wasserfallwirt will sich in der letzten Stunde noch schnell mit seinem Sohn versöhnen. Im aufgeregten Durcheinander finden die großen und kleinen Schicksale der Dorfbewohner dann aber doch ein gutes Ende… // vn
Mittwoch 22.04. 20.00 Uhr
Freitag 24.04. 20.00 Uhr
Samstag 25.04. 20.00 Uhr
Ort: Bürgersaal von Sand in Taufers
Karten sind ab sofort täglich von 18.00 bis 20.00 Uhr telefonisch unter +39 389 928 0902 oder WhatsApp (nur bei Bestätigung gültig) erhältlich. //
TOBLACH
SCHERZWÄRTS…
Mit „Scherzwärts“ präsentiert der gebürtige Toblacher Wolfgang Sebastian Baur am 17. April 2026 im Kulturzentrum in Toblach um 20.00 Uhr seinen jüngst erschienenen Gedichtband in Form einer lebendigen Lesung. Der Titel eröffnet bewusst zwei Deutungsebenen: Er verweist sowohl auf das „Zu-Herzen-Gehende“ als auch auf das Spielerische und Scherzhaft-Leichte. In seinen Texten verbindet Baur emotionale Tiefe mit feinem Sprachwitz. Der Eintritt ist frei. Als ausgebildeter Schauspieler und Rezitator verleiht er seinen Gedichten eine besondere Bühnenpräsenz: Er trägt sie nicht nur vor, sondern interpretiert sie performativ und macht Sprache sinnlich erfahrbar.
Bereits vor über zwanzig Jahren machte sich Wolfgang Sebastian Baur mit innovativen poetischen Texten in Pusterer Mundart einen Namen. Sein Gedichtband „Puschtra Mund Art“ entwickelte sich zum Kultbuch und verschaffte ihm große Bekanntheit in Südtirol sowie in Nord- und Osttirol. // mm
WOLFGANG SEBASTIAN BAUR
Fr 17.04.26 20:00 Lesung Eintritt frei



GELEBTES MEHRSPRACHENMODELL AN DER MITTELSCHULE
VON PIZZA-BÄCKERN, PUPPENSPIELERN UND FINDIGEN
SPRACHDETEKTIVEN
Eine Sprache will nicht nur „trocken“ erlernt werden, sprich Vokabeln und Grammatik pauken, sondern aktiv gelebt werden – dem können wohl die meisten zustimmen, die sich mit Sprachvermittlung bzw. -anwendung auseinandersetzen. Und so hat das Mehrsprachenmodell der Mittelschule Dr. Josef Röd in Bruneck letzthin mit kreativen Projekten die Theorie quasi in die Praxis umgesetzt – mit großer Zustimmung und viel Begeisterung.
Drei Projekte, viele Sprachen und viel Kreativität: Die Schülerinnen und Schüler der 3. Klasse des Mehrsprachenmodells der Röd haben in den vergangenen Monaten gezeigt, dass Sprachenlernen viel viel mehr ist als das Auswendiglernen von Vokabeln und Grammatikregeln. Ob kulinarisch, ökologisch oder literarisch – das Mehrsprachenmodell wurde auf vielfältigste Weise zum Leben erweckt.

Zunächst einmal verwandelte sich unter dem Motto „Sprachenlernen geht durch den Magen“ die Schulküche in eine dreisprachige Pizzeria. Unterstützt von ihren Lehrpersonen aus den Fächern Deutsch, Italienisch und Englisch kneteten die jungen Pizzabäckerinnen und Pizzabäcker fleißig Teig, belegten den Boden und schwuppdiwupp: die perfekte Pizza war fertig. Ob „delicious”, „delizioso” oder einfach nur „lecker” – das gemeinsame Pizza-Backen war ein voller Erfolg.
VIELFÄLTIGES PROGRAMM
Kurz vor Weihnachten wurden die Jugendlichen dann zu Sprachdetektiven: Wie versteht man eine Geschichte auf Spanisch, Portugiesisch oder Französisch, und das ganz ohne die Sprache zu sprechen? Dass das durchaus möglich ist, haben die Schülerinnen und Schüler mit dem bekannten Bilderbuch „Das rote Paket” von Gino Alberti und Linda Niederwolfsgruber bewie-


sen. Durch das geschickte Kombinieren von Sprachwissen in Deutsch, Italienisch, Englisch, Ladinisch usw. entstanden eigene Texte zu den Bildern aus dem Buch.
Ernster, aber ebenso kreativ ging es hingegen beim Thema „Abfall” zu. In Kooperation mit dem Technikunterricht entstand ein detailgetreuer Straßengraben als Kulisse für

„RÖD“
ein selbst entwickeltes Handpuppentheater. Ein bereits vorhandenes Theaterstück in italienischer Sprache wurde von den Lehrkräften des Mehrsprachenmodells unter Verwendung der Sprachen Deutsch, Italienisch und Englisch umgeschrieben. Das Tolle an diesem Projekt war die Möglichkeit, ökologisches Bewusstsein mit sprachlichen Fähigkeiten zu verknüpfen.
Alles in allem also drei spannende Projekte, die den Schülerinnen und Schülern ideale Instrumente boten, ihr sprachlichen Kenntnisse zu vertiefen und kreativ auszuleben. So kann es gerne weitergehen. // jst




ES GEHT IN PUNCTO AUSBILDUNG WIEDER LOS
Auch heuer startet die Landesfachschule für Sozialberufe Hannah Arendt im Herbst wieder eine berufsbegleitende Ausbildung zur Pflegehelferin, zum Pflegehelfer in Bruneck. Die Ausbildung wird in 23 Unterrichtsblöcken, alle zwei Wochen jeweils von Dienstag bis Donnerstag, von September 2026 bis Oktober 2027 organisiert.
Die Ausbildung ist eine ideale Möglichkeit für alle Menschen, die sich beruflich neu orientieren möchten und in ein Berufsbild einsteigen wollen, das sinnstiftend und erfüllend ist. Denn so vielfältig und unterschiedlich die beruflichen Möglichkeiten mit dem Abschluss als Pflegehelferin/Pflegehelfer sind, so gewiss ist bei allen Tätigkeiten die Wertschätzung der Betreuten. Das strahlende Lächeln eines Kindes mit Down-Syndrom, der warme Händedruck eines pflegebedürftigen Senioren, das herzhafte Lachen eines Jugendlichen mit Autismus-Spektrum-Störung, das mit Dankbarkeit erfüllte Nicken einer Angehörigen... Diese und unzählige weitere kleine Gesten lassen Menschen im Sozialbereich täg lich spüren, wie wertvoll und unbezahl



ventinnen und Absolventen jede Tür offen. Die Einschreibungen für die berufsbegleitende duale Ausbildung in Bruneck sind noch offen. Interessierte können sich direkt bei der Landesfachschule für Sozialberufe Hannah Arendt unter 0471 973494 melden. Wer sich schon für eine Anstellung im Sozialbereich interessiert, um die duale Ausbildung dann zu absolvieren, kann sich gerne auch direkt in der Direktion der Sozialdienste der Bezirksgemeinschaft Pustertal unter 0474 412920 oder per E-Mail an direktion. sozialdienste@bzgpust.it melden. // ph BERUFSBEGLEITENDE


bar ihr Wirken ist. Die duale Ausbildung zur Pflegehelferin/zum Pflegehelfer in Bruneck bietet interessierten Quereinsteigerinnen und Quereinsteigern jeden Alters die Chance, bereits in den Sozialdiensten angestellt zu werden und parallel dazu die Ausbildung zu absolvieren. Die Anstellungsmöglichkeiten sind dabei genauso vielseitig wie die Jobs selbst. Von der Arbeit mit Menschen mit Behinderung oder psychischen Erkrankungen, über Tätigkeiten in ambulanten Betreuungsdiensten oder in Seniorenwohnheimen steht den Absol-






STADTBIBLIOTHEK
KLEIDUNG REPARIEREN STATT WEGWERFEN
Die Auftaktveranstaltung der Aktion „I richtmos mit Nadel und Faden“ in der Stadtbibliothek Bruneck steht an. Am 23. April 2026 von 14.00 bis 17.00 Uhr geht das Ganze über die Bühne. Mit dabei ist ein tolles Rahmenprogramm.


Ein kleines Loch im Lieblingspulli? Knopf abgerissen? Oft lässt sich das mit wenigen Handgriffen beheben. Du weißt nicht wie? Dann komm am Donnerstag, 23. April bei der Stadtbibliothek in Bruneck vorbei. Von 14.00 bis 17.00 Uhr findet die Auftaktveranstaltung zur Aktion „I richtmos mit Nadel und Faden“ statt. Bring deine kaputten oder zu eng oder zu weit gewordenen Kleidungsstücke vorbei und lerne, wie du sie selbst reparieren kannst – gemeinsam mit
Nähprofis stopfen und kürzen wir! Aus Alt mach Neu! Aus Lang mach Kurz! Das Rahmenprogramm kann sich sehen lassen: Es gibt eine Fashion Ausstellung mit Quiz, organisiert von der OEW, und Poetry Slammerin Lena Simonetti sagt, was Sache ist in Sachen Wegwerfmode. Für musikalische Unterhaltung sorgen Isa & Pauli und wer möchte, kann es sich mit einer Tasse Kaffee vom Weltladen Bruneck im „Outdoor – Wohnzimmer“ gemütlich machen.
5 Jahre fixer Strompreis
Schützen Sie sich jetzt mit Alperia Direct Energy vor steigenden Preisen. Mehr Planungssicherheit, weniger Preisschwankungen.
Gerne darf auch Strick- oder Häkelzeug mitgebracht werden. Das Team der Stadtbibliothek sorgt mit einem Büchertisch für Inspiration für all jene, die etwas Neues beginnen möchten. Wolle, Strick- und Häkelnadeln zum Ausprobieren können ausgeliehen werden.
Wer nichts zum Reparieren hat, kann gerne Kleidung (sauber und intakt) beim „MiniKleidertauschevent“ abgeben oder mitnehmen. Alle sind herzlich willkommen. // mig

Informieren Sie sich im Energy Point in Ihrer Nähe alperia.eu/stores

Verstecktes Leberblümchen-Ensemble

Eine vermooste Dachrinne mit Blick in die Freiheit... Adalbert Leitner

Brückele Richtung Rossalm in Prags Roman Engl

Nächtliches Wunder... (Inkastraße in Argentinien)

„Des Haunolds Alpenglühen“

das Uhrwerk einer Audemars
Makrofoto:
Piguet Royal Oak Raffael Frenner aus St. Lorenzen
Christian J. Töchterle aus Olang
Toni Willeit aus Ehrenburg
Domenico (Mimmo) Iovino

Frühlingserwachen in Weitental
Felix Wachtler

Ostergrüße im Schnee
Peter Sulzenbacher aus Innichen

Obowialeboch im weissn Winterkleid Chrissi Mairhofer aus Pfalzen

Eichhörnchen
Lydia Dejaco


Alexandra Hopfgartner

Heinz Krautgasser aus Vierschach
Liebe Leserinnen und Leser, schickt uns Eure schönsten, lustigsten, überraschendsten und/oder atemberaubendsten Bilder –wir zeigen sie dem Pustertal!
Zusendungen an:
E-Mail: info@pz-media.it oder PZ, Oberragen 18, 39031 Bruneck
Wichtig: Bitte geben Sie Ihren Namen, ihren Wohnort und das Kennwort „Leserfoto“ an!
Die PZ behält sich das Recht vor, Inhalte und Fotos aus ethischen und anderen Gründen abzulehnen.
Serienmeister geknackt, doch das ist erst der Anfang
Es war einmal ein Serienmeister in der ICE-Hockey-League, der von den Wölfen aus dem Pustertal in einer historischen Playoff-Serie frühzeitig in die Sommerpause geschickt wurde. Der HC Falkensteiner Pustertal steht im Halbfinale.
Im Salzburger Volksgarten sollte das Märchen beginnen. Der schwarz-gelbe Underdog blickte vom fünften Tabellenplatz in der regulären Spielzeit zwar zu den Bullen auf Rang drei in der Tabelle auf, doch auf dem Papier sah es im direkten Vergleich bereits vielversprechend aus: drei Siege im Laufe der Regular Season, lediglich eine Niederlage nach Verlängerung beim letzten Auswärtsspiel. Und trotzdem entschied sich der Titelverteidiger beim Pick nicht für den noch übrig gebliebenen Sechsten aus Laibach (auch die Drachen verbuchten drei Siege und eine Niederlage in der regulären Spielzeit gegen den EC Red Bull Salzburg) sondern pickte den Fünften aus Bruneck. Pustertal schaffte in seiner fünften Spielzeit in der ICE Hockey League zum zweiten Mal den direkten Playoff-Einzug. Der Viertelfinal-Pick der Salzburger sollte nicht nur ihnen selbst zum Verhängnis werden: für den Viertplatzierten Bozen blieb am Ende Olympia Ljubljana übrig (#1 Graz wählte #8 Villach; #2 Klagenfurt wählte #10 Fehervar). Die Drachen sollten den Füchsen in fünf Partien den Gar aus machen (4:1).
DAS SPORTMÄRCHEN BEGINNT

Fans und Mannschaft haben ein gemeinsames Ziel: „Zielsetzung Finale“ schreibt die Rienzkurve – und das bereits beim ersten Viertelfinal-Heimspiel Iwan Foppa/HCP
fen und die zweite und, was man hier noch nicht wusste, letzte Auswärtsfahrt in den Volksgarten nach Salzburg wurde von 150 Fans in die Mozartstadt begleitet. Die Wölfe hatten Blut geleckt und auch zuhause hatten die Red Bulls erneut das Nachsehen: 4:3 für die Gäste und mit gesicherten Matchpucks war der HCP bereit für das vierte Aufeinandertreffen. Noch nie hatte es eine Mannschaft in der Ligageschichte geschafft, den EC Red Bull Salzburg zu Null in einer Playoff-Serie zu besiegen…
Am Dienstag, 10. März 2026 nahmen die Viertelfinalserien in der ICE-Hockey-League und damit für den HC Falkensteiner Pustertal ihren Anfang. 20 Fans der Schwarz-Gelben reisten zum ersten Spiel nach Salzburg, welches nach einem 2:2-Unentschieden in die Verlängerung ging. Es war der Pass von Tommy Purdeller auf Rok Ticar, welcher eiskalt abschloss und die Siegesserie der Puschtra eröffnen sollte.
Zwei Tage darauf war es eine ausverkaufte Intercable-Arena, welche in den Genuss eines 2:1 für die Heimmannschaft und Sieg zwei der Serie kam. Wieder zwei Mal Schla-
Sollte es in der Heimstätte der Wölfe nun endlich so weit sein? Erneut ein ausverkauftes Haus in Bruneck und dann der Rückstand im ersten Drittel, welcher in den darauffolgenden 20 Minuten vom Pusch-
tra-Eigengewächs Tommy Purdeller ausgeglichen wurde. Es folgten Drittel Nummer drei, Verlängerung Nummer ein, Verlängerung Nummer zwei und schließlich Verlängerung Nummer drei… Das viertlängste Spiel der Ligageschichte entschied schließlich Kapitän Raphael Andergassen für seine Wölfe. In der 106. Minute, nach beinahe zwei zur Gänze gespielten Partien an einem Abend, vollendete die Nummer 40 den Sweep gegen den Serienmeister. 4:0 der Endstand in der Viertelfinalserie und die „Dosen“ waren endgültig zerdrückt. Doch beim Kapitän mischte sich nach der Erleichterung über den Sieg schnell großer Respekt gegenüber dem Kontrahenten und vor allem der Blick nach vorne: „Des isch lai do Onfong!“
DER HCP IN DER ICE-HOCKEY-LEAGUE
Saison 2021/22 Rang 5 – im Viertelfinale gegen Fehervar 0:4 ausgeschieden; Saison 2022/23 Rang 11 – Saisonsende nach Grunddurchgang; Saison 2023/24 Rang 8 – Halbfinaleinzug (4:3 gegen Fehervar) über die Pre-Playoffs (2:1 gegen Ljubljana, Heimrecht), ausgeschieden gegen Klagenfurt (0:4); Saison 2024/25 Rang 9 – Viertelfinaleinzug über die Pre-Playoffs (2:0 gegen Laibach), ausgeschieden gegen Klagenfurt (2:4)

Der Siegestreffer kurz vor Mitternacht durch Kapitän Raphi Andergassen und damit der vollbrachte Sweep gegen den Serienmeister nach 106 Spielminuten.
HEIMRECHT
GEGEN LJUBLJANA
Nach sechs Spielen konnte sich am Mittwoch, 25. März 2026, die Mannschaft aus Fehervar gegen Rekordmeister EC KAC aus Klagenfurt (neben dem HC Falkensteiner Pustertal, den Graz99ers und Olympia Ljubljana) das Ticket fürs Halbfinale erspielen. Nachdem sich die Ungarn erst am letzten Spieltag in allerletzter Sekunde die Pre-Playoff-Teilnahme klar machten und sich dort dann gegen Wien durchsetzten, hatten mit ihnen nur wenige gerechnet.
Die gesamte ICE-Hockey-League blickte gespannt nach Fehervar und Klagenfurt, nachdem die anderen Viertelfinalserien nach zwei Sweeps (4 Matches) und einer 4:1-Serie für Laibach gegen Bozen (fünf Matches) schon länger entschieden waren. Zudem verzögerte sich der Start der Viertelfinalspiele AVS vs. KAC nachdem nach einem medizinischen Notfall auf der Spielerbank der Kärntner Spiel 1 abgebrochen und der Spielbetrieb erst fünf Tage später fortgesetzt wurde. Nach dem 4:2-Seriensieg der Ungarn standen die Halbfinalpaarungen fest: der Tabel-
lenerste Graz empfängt Fehervar und die Puschtra haben Heimrecht gegen Olympia Ljubljana.
Für Graz ist es der dritte Einzug ins Halbfinale in seiner über 20-jährigen Ligageschichte.
Der HC Falkensteiner Pustertal hat sich den Halbfinaleinzug innerhalb von fünf Spielzeiten bereits zum zweiten Mal erkämpft. Zugleich weist das Halbfinale der österreichischen Liga in der Spielzeit 2025/26

Playoff-Viertelfinalergebnisse
ERNEUT LIGA-YOUNG STAR DER SAISON
Tommy Purdeller vom HC Falkensteiner Pustertal ist zum zweiten Mal in Folge zum Young Star der Saison in der ICE Hockey League gewählt worden. Der 21-jährige Stürmer ist damit der erste Spieler in der Geschichte der Liga, dem diese Auszeichnung zweimal zuteilwird.
Bereits in seiner Rookie-Saison 2024/25 beim HC Falkensteiner Pustertal wusste Purdeller voll zu überzeugen: Mit den Südtirolern erreichte er das Viertelfinale und verbuchte starke 38 Punkte in 56 Einsätzen. Als Konsequenz wurde der damals
20-Jährige erstmals zum Young Star der Saison gekürt. Nun erhält er diese Auszeichnung ein zweites und zugleich letztes Mal – in der kommenden Saison sind alle Spieler der Jahrgänge 2005 und jünger teilnahmeberechtigt.
Auch in der laufenden Saison bestätigt Purdeller seine starke Entwicklung. In bislang 50 Einsätzen hält der Olympiateilnehmer bei 36 Punkten – und die Spielzeit ist für ihn noch lange nicht vorbei. Ab Sonntag steht das Halbfinale auf dem Programm, nachdem Pustertal im Viertel-

finale für eine große Überraschung sorgte und Serienmeister Salzburg klar mit 4:0 bezwang. Purdeller steuerte dabei ein Tor und drei Assists bei. In der Finalabstimmung zum Young Star der Saison setzte sich der Südtiroler unter allen Monatssiegern mit nahezu maximaler Punkteanzahl klar vor David Waschnig (EC-KAC) und Paul Sintschnig (EC iDM Wärmepumpen VSV) durch. Die Wahl erfolgte durch Fans sowie TV-Experten aus Österreich, Italien und Slowenien. // lp
TOMMY PURDELLER
Auf dem Eis wurde nach dem Halbfinaleinzug bei Tommy Purdeller und Co. gejubelt – die Fans auf den Rängen verwandelten die Intercable Arena derweil in ein Tollhaus. Iwan Foppa/HCP

mehrere Besonderheiten auf: Neben einer Mannschaft aus Österreich sind ebenfalls die drei weiteren Nationen der Liga mit je einem Verein vertreten (Ö: G99; ITA: HCP; SLO: OLL; HUN: AVS;). Auch wird es in diesem Jahr einen Meister geben, welche diese Meisterschaft noch nie gewonnen hat: Keiner der vier Halbfinalisten konnte bisher die Karl-NedwedTrophy am Ende der Saison in die Höhe stemmen. Nachdem der HC Falkensteiner Pustertal das vorgegebene Saisonziel, den direkten Einzug in die Playoffs, erreicht hat, ist jetzt ein neues Ziel im Blick, das mit Charakterstärke, Führungsspielern und Teamgeist in immer greifbarere Nähe rückt: der Titel! Fortsetzung folgt jedenfalls… // Lisa Pipperger

DIE PUSTERTALER FÖRSTER
VOM WALD IN DIE EISHALLE
Die Mitarbeiterinnen und Mitarbeiter der Forstbezirke Bruneck und Welsberg trafen sich am 25. März 2026 in der Intercable-Arena zu einem gemeinsamen außerdienstlichen Wintersporttag. Dabei stand das gesel-
lige Beisammensein im Vordergrund. Eine Gruppe von 45 Teilnehmerinnen und Teilnehmer nutzte das Angebot des ASC Curling Südtirol für einen Schnupperkurs, bei dem sie in diese faszinierende Sportart eintauchen
konnten. Etwas gemütlicher, aber durchaus auch spannend gestaltete sich hingegen das Wattturnier im Premiumbereich der Arena. Betriebsleiter Tobias Hitthaler führte die Teilnehmerinnen und Teilnehmer schließlich durch die Anlage. Er gab dabei interessante Einblicke in die vielfältigen Aktivitäten der Eissport- und Multifunktionsanlage in der Brunecker Schul- und Sportzone. // ev

Die
Mitarbeiterinnen und Mitarbeiter der Forstbezirke Bruneck und Welsberg haben einen netten und geselligen




















































PUSCHTRA HOCKEY-LIGA
AMATEURHOCKEYMEISTER VOR GROSSER BÜHNE GEKÜRT
Über 1.100 hochmotivierte Zuschauerinnen und Zuschauer verfolgten am siebten März 2026 die Finalspiele der 23. Auflage der Puschtra Hockey-Liga in der Intercable-Arena. Es siegte einmal mehr der HC Oacha.
Wie bereits im vergangenen Jahr bestritten der HC Oacha und der SSV Pfalzen das Finalspiel, aus dem einmal mehr der HC Oacha mit 2:1 als Sieger hervorging. Und auch der letztjährige Torschützenkönig Dietmar Götsch verteidigte erfolgreich seinen Titel. Den dritten Rang sicherten sich die Mammuts Toblach gegen die 12 Apostel St. Georgen mit 4:0. Das Spiel um Rang fünf entschied der HC Tigers für sich. Die weiteren Platzierungen:
KARATE MÜHLBACH
6.: Red Devils Welsberg, 7.: AHC Freienfeld. Auch das Finale des Puschtra Cup Junior PCJ, das „junge“ Pendant der PHL, stand wieder auf dem Programm. Den Meistertitel in der Nachwuchskategorie holte sich der ASC Gsie-
sertal Raiffeisen vor dem ASC St. Georgen Reds, dem ASC St. Georgen Blacks und dem SSV Pfalzen Hockey. Die Turniere haben auch heuer wieder bewiesen, dass das Interesse am Amateurhockeysport ungebrochen groß ist, genauso wie die Begeisterung des Publikums dafür. Das Team der Intercable ARENA freut sich, Austragungsort für Turniere dieser Art zu sein und damit zu beweisen, dass die ARENA dem Eissport auf allen Ebenen und in allen Altersklassen die ideale Bühne bietet.

MARIA PEINTNER IST ITALIENMEISTERIN

Bei der Karate-Italienmeisterschaft der FIK (Federazione Italiana Karate) hat Karate Mühlbach in Cervia (RA) drei Podestplätze errungen. Maria Peintner kürte sich sogar zur Italienmeisterin.

Maria Peintner ist neue Italienmeisterin.
Die erst 14-jährige Maria Peintner sorgte für das sportliche Highlight: In der Kategorie Anwärter bis 47 Kilogramm zeigte sie von Beginn an starke Leistungen, wuchs über sich hinaus und schaffte es, bei ihrer ersten Italienmeisterschaft dem Druck standzuhalten. „Dieser Erfolg ist absolut verdient und das Ergebnis einer gezielten und intensiven Vorbereitung über mehrere Monate“, fasst es Trainer Fabian Pezzei zusammen, der die Athletin bei diesem Turnier betreut hat. Bronze gewonnen hat die 13-jährige Anna Gallmetzer (Zöglinge, -47kg); auch sie hat zum ersten Mal bei einer Italienmeisterschaft, an der nur Braunund Schwarzgurte teilnehmen dürfen, teilgenommen und konnte ihr Talent eindrucksvoll unter Beweis stellen. Nicht nach Plan gelaufen ist es hingegen für Florian Fischnaller (Senioren, -80kg), der den Kampf um die Bronzemedaille knapp verloren hat. Trotz starker Leistungen ist für Lorenz Mantinger (Senioren, -68kg) bereits in der Vorrunde das Aus gekommen. Laura Peintner (Senioren, -63kg), die erstmals in dieser Altersklasse angetreten ist, konnte sich diesmal noch nicht in den vorderen Rängen platzieren. Neben den Kumite-Wettkämpfen überzeugten die Nachwuchstalente auch im Kata (Formwettkampf). Maria Peintner unterstrich ihre starke Form und sicherte sich mit einer weiteren beeindruckenden Darbietung die Bronzemedaille. Anna Gallmetzer verpasste das Podest nur knapp und belegte den fünften Platz. Die Erfolge in Cervia zeigen eindrucksvoll, welches Potenzial im Nachwuchs von Karate Mühlbach steckt. Trainingsfleiß und Biss haben sich einmal mehr bezahlt gemacht – und lassen optimistisch in die Zukunft blicken. // pez

TERENTEN
DIE RANGGLER SIND BEREIT
Südtirols Ranggler gehen bestens vorbereitet in die neue Saison. Den letzten Feinschliff holten sie sich beim Trainingscamp in Terenten, bei dem es zum Abschluss auch noch ein Preisranggln gab.
Hervorzuheben ist in diesem Jahr die Teilnahme der jungen Ranggler aus dem Sarntal, die einen Neustart des früher weitum bekannten Sarntaler Rangglvereins anstreben und schon auf einem guten Weg sind.
Beim abschließenden Preisranggln in Terenten trumpften vor allem die Passeirer und Ahrntaler Ranggler auf. Insgesamt vier Siege gingen ins Passeiertal, zweimal durften hingegen die Ahrntaler jubeln. // se
DIE ERGEBNISSE DES VSS-PREISRANGGLNS IN TERENTEN
6-8 JAHRE
1. Eschgfäller Elias, Passeier
2. Pircher Paul, Passeier
3. Obgriesser Lion, Ahrntal
8-10 JAHRE
1. Abler Jakob, Passeier
2. Astner Isidor, Terenten
3. Voithofer Jakob, Ahrntal
MEILENSTEIN FÜR KARATE BRUNECK
10-12 JAHRE
1. Walzl Lukas, Passeier
2. Falkensteiner Simon, Terenten
3. Gilg Benni, Passeier
12-14 JAHRE
1. Niederbrunner Florian, Ahrntal
2. Öttl Levi, Passeier
3. Rohrer David, Passeier
14-16 JAHRE
1. Kofler Josef, Passeier
2. Felderer Raphael, Sarntal
3. Pichler Johannes, Passeier
16-18 JAHRE
1. Egger Andy, Ahrntal
2. Pixner Lukas, Passeier
3. Weidacher Alex, Terenten
DAS WM-TICKET UND VIER PODESTPLÄTZE
BEI DER ITALIENMEISTERSCHAFT
Am 14. und 15. März 2026 fand in Cervia (ER) die Italienmeisterschaft im Karate statt. Karate Bruneck erzielte hierbei vier Podestplätze und konnte sich zudem einen Platz in der Nationalmannschaft für die Teilnahme an der Weltmeisterschaft im Herbst sichern.

Mirjam Rofner in Aktion. Sie fährt heuer zur WM nach Slowenien.

Die Italienmeisterschaft ist traditionell der Höhepunkt der Saison für die Braun- und Schwarzgurte, und zwar aus zweierlei Gründen: zum einen geht es natürlich um den Titel oder einen Podestplatz. Der SSV Bruneck war mit drei Athleten bei vier Wettkampfkategorien dabei: Mirjam Rofner in den Disziplinen Kata (Form) sowie Kumite (Zweikampf) in der Kategorie der Junioren, Kevin Infante im Kumite ebenfalls bei den Junioren, sowie Trainer Arnold Rofner im Kata (Master). Das Resultat kann sich sehen lassen: in jedem der Fälle konnte mit Bronze je ein Podestplatz gesichert werden. Darüber hinaus handelt es sich bei der Italienmeisterschaft um das dritte nationale Turnier, bei dem ein letztes Mal Punkte für die Einberufung in die Nationalmannschaft gesammelt werden könnenwovon die Entscheidung abhängt, wer als einziger je Kategorie das Teilnahmeticket für die Weltmeisterschaft erhält. Und genau dieses erzielte heuer Mirjam in der Disziplin Kumite Junioren, nachdem sie im Laufe der Saison eine konstant starke Leistung (u.a. Gold beim Grand Prix Nazionale del Lazio – die PZ hat darüber berichtet) in beiden Disziplinen (Kata, Kumite) unter Beweis stellen konnte. Ohne Übertreibung handelt sich hierbei um einen Meilenstein für den SSV Karate Bruneck. Das gesamte PZ-Team wünscht Mirjam eine gute Vorbereitung und viel Erfolg bei der Weltmeisterschaft. Diese findet heuer vom 22. bis zum 25. Oktober 2026 in Slowenien statt. // Reinhard Weger
ALEXANDRA OBERSTOLZ
Mit Tempo und Talent auf steilem Erfolgskurs
Die junge Antholzerin Alexandra Oberstolz zählt zu den vielversprechenden Talenten im internationalen Kunstbahnrodeln. Geboren am 14. Mai 2007 in Bruneck und aufgewachsen in Antholz Niedertal, fand sie über einen eher ungewöhnlichen Weg zu ihrer heutigen Sportart.
Zunächst war sie im Biathlon aktiv, ehe sie im Alter von zwölf Jahren dem Beispiel ihrer Eltern folgte und erste Erfahrungen im Eiskanal sammelte. Bereits bei ihren Probefahrten im Dezember 2020 in Innsbruck war für sie klar, dass ihre sportliche Zukunft im Rodelsport liegen würde.
Im Herbst 2021 startete sie ihre Karriere als Kunstbahnrodlerin und besuchte parallel die Sportoberschule in Mals. Schon früh konnte sie sich auf internationalem Niveau behaupten. Mit nur 15 Jahren gewann sie im Januar 2023 als jüngste Teilnehmerin die Bronzemedaille bei den Juniorenmeisterschaften im Einsitzer. Ein Jahr später folgten weitere große Erfolge bei den Olympischen Jugendspielen in Pyeong Chang, wo sie Gold im Mannschaftswettbewerb sowie im Doppelsitzer und Silber im Einsitzer holte.
BESTÄNDIGER ERFOLG
Auch in den darauffolgenden Saisonen setzte Oberstolz ihren Erfolgsweg fort. In der Saison 2024/25 absolvierte sie bereits erste Weltcuprennen und wurde im Juniorenbereich Vizeweltmeisterin im Doppelsitzer gemeinsam mit Katharina Kofler. Zudem gewann sie den Gesamtweltcup im Doppel-


Alexandra Oberstolz aus Antholz Niedertal ist derzeit richtig gut unterwegs. So kann’s weitergehen!

sitzer und erreichte im Einsitzer Rang drei der Gesamtwertung. Für ihre Leistungen wurde sie in die Heeressportgruppe aufgenommen und konnte mit der Firma Beton-

form aus Gais ihren ersten privaten Sponsorenvertrag abschließen.
In der laufenden Saison 2025/26 sammelte sie weitere wichtige Erfahrungen im Weltcup und überzeugte mit soliden Ergebnissen. Bei den Juniorenweltmeisterschaften gewann sie erneut eine Medaille im Doppelsitzer sowie Silber im Teambewerb. Besonders erfolgreich verlief auch der Gesamtweltcup, den sie im Doppelsitzer bereits vor dem letzten Rennen für sich entscheiden konnte. Auch im Einsitzer sicherte sie sich den Gesamtsieg.
Kurzfristig steht für die junge Sportlerin nun die Reifeprüfung im Fokus, danach möchte sie sich voll auf den Leistungssport konzentrieren. Ihr Blick ist bereits auf die kommenden Jahre gerichtet, mit dem großen Ziel, bei den Olympischen Winterspielen 2030 in Frankreich an den Start zu gehen. Herzliche Gratulation und weiter so! // rewe

> Ein überaus kräftiger Motor für die wirtschaftliche Entwicklung 50
> Große Chance für den Mittelstand 54
> Nachhaltigkeit als Innovationstreiber 56
> Der Schlüssel zum Erfolg 58
> Regionale Stärke durch Spezialisierung 62
> Moderne und sichere Kommunikationsnetze sind wichtig 66
... und vieles mehr!

Ein überaus kräftiger Motor für die wirtschaftliche Entwicklung
Innovation gilt seit Jahren als einer der entscheidenden Faktoren für die Wettbewerbsfähigkeit. Auch im Pustertal und in ganz Südtirol zeigt sich, dass Unternehmen verstärkt auf neue Technologien, nachhaltige Prozesse und kreative Geschäftsmodelle setzen, um sich erfolgreich am Markt zu behaupten. Dabei reicht die Bandbreite von traditionellen Handwerksbetrieben, die ihre Produktion modernisieren, bis hin zu international tätigen Industriebetrieben und jungen Start-ups, die mit neuen Ideen frischen Wind in die Wirtschaft bringen.
D as Pustertal hat sich in den vergangenen Jahren zunehmend als Standort für innovative Unternehmen etabliert. Neben seiner starken Verwurzelung in Tourismus und Landwirtschaft hat sich die Region auch im Bereich Industrie und Dienstleistungen weiterentwickelt. Besonders kleine und mittelständische Betriebe spielen dabei eine zentrale Rolle. Sie investieren in moderne Technologien, automatisierte Prozesse und digitale Lösungen, ohne dabei ihre regionale Identität zu verlieren. Diese Kombination aus Tradition und Innovation ist ein wesentliches Merkmal der Südtiroler Wirtschaft.
Ein wichtiger Impulsgeber für Innovation ist die enge Zusammenarbeit zwischen Unternehmen, Forschungseinrichtungen und Bildungseinrichtungen. Einrichtungen wie der NOI-Techpark in Bruneck und Bozen fördern gezielt den Austausch zwischen Wissenschaft und Wirtschaft. Hier entstehen neue Ideen, die in konkrete Projekte umgesetzt werden – etwa in den Bereichen nachhaltige Produktion, Energieeffizienz oder Digitalisierung. Gerade für kleinere Betriebe eröffnen sich dadurch Möglichkeiten, an Entwicklungen teilzuhaben, die sie alleine kaum realisieren könnten.

NACHHALTIGE AUSRICHTUNG IHRER TÄTIGKEIT
Ein zentrales Thema für viele Unternehmen ist die nachhaltige Ausrichtung ihrer Tätigkeit. Energieeffizienz, Ressourcenschonung und
Kreislaufwirtschaft gewinnen zunehmend an Bedeutung. Betriebe im Pustertal investieren verstärkt in umweltfreundliche Technologien, nutzen erneuerbare Energien und optimieren ihre Produktionsabläufe. Dies geschieht nicht nur aus ökologischer Verantwortung, sondern auch aus wirtschaftlichen Überlegungen, da nachhaltiges Handeln langfristig Kosten senken und neue Märkte erschließen kann. Auch die Digitalisierung prägt die Entwicklung der Unternehmen. Von der Automatisierung in der Produktion über digitale Verwaltungsprozesse bis hin zu neuen Vertriebswegen im Onlinebereich – viele Betriebe nutzen die Chancen der digitalen Transformation. Gleichzeitig stellt dieser Wandel Unternehmen vor Weiter auf Seite 52 >>



& Tischlerei Mair Lorenz
Antholzer Talstr. 31 - 39030 Oberrasen T: +39 (0474) 496 272 info@mairlorenz.it
DANSTUDIO Exklusiv d. Mair Lorenz
St. Lorenznerstr. 13 - 39031 Bruneck T: +39 (0474) 530 054 danstudio@mairlorenz.it *www.mairlorenz.it
sch afen Besser leben
WOHNSTUDIO
Noi Techpark
Innovation gezielt fördern
Viele Unternehmen haben innovative Ideen, wissen aber oft nicht, dass sie förderfähig wären. Deshalb lohnt sich eine genaue Prüfung des Förderpotenzials, denn immer noch zu selten werden die Chancen der Innovationsförderung genutzt und oft ist der Weg dorthin einfacher, als viele denken. Miriam Rieder, Fördermittelexpertin und Gründerin von Förderfactory weiß mehr.
PZ: Welche Erfahrungen machen Unternehmen in Südtirol konkret mit Innovationsförderungen?
Miriam Rieder: Viele Unternehmen sind innovativer, als sie selbst glauben. Förderprogramme helfen, gute Ideen schneller umzusetzen. Die Innovationsförderung des Landes unterstützt nicht nur große Industrieprojekte, sondern auch kleinere Innovationen in Handwerk, Produktion, Digitalisierung oder Produktentwicklung. Besonders kleine und mittlere Unternehmen können von den zahlreichen Fördermaßnahmen profitieren.
Welche Arten von Innovation werden derzeit besonders häufig gefördert – und welche werden vielleicht noch unterschätzt?
Besonders häufig unterstützt werden aktuell Investitionen in neue und innovative Produkte, Prozesse, Automatisierung und digitale

Lösungen. Unterschätzt wird oft, dass auch Weiterentwicklungen und Verbesserungen bestehender Produkte und Dienstleistungen förderfähig sein können, genauso wie innovative Beratungsleistungen oder die Einstellung von hoch qualifiziertem Personal.
Was würden Sie einem Unternehmen raten, das eine gute Idee hat, aber noch unsicher ist, ob sich ein Förderantrag lohnt?
Mein Rat: Ideen und Investitionen früh prüfen lassen. Es muss sich nicht immer um eine einsteinsche Erfindung handeln, um förderfähig zu sein. Entscheidend ist, ob das Vorhaben für das Unternehmen einen echten Entwicklungs- oder Innovationsschritt bringt. Dann zeigt sich meist rasch, ob sich ein Förderantrag lohnt.
// PR-Info
In Innovation investieren?
Diese Unternehmen wissen wie.

CAROL SCHWIENBACHER VON MICROS AUTOMATION

“Förderfactory unterstützt uns bei unseren Förderanträgen ausgezeichnet. Schnell, kompetent und stets erreichbar. Seit der Zusammenarbeit nutzen wir Fördermöglichkeiten deutlich häufiger und in den unterschiedlichsten Bereichen. Als Systemintegrator im Sondermaschinenbau nutzen wir Fördermittel, um mit innovativen und einfachen Lösungen neue Maßstäbe in der Branche zu setzen.”
PETER FUCHS VON FUCHS TECHNIK
“Neuentwicklungen und Investitionen in Innovation sind entscheidend, um stets einen Schritt voraus zu sein. Förderfactory unterstützt uns dabei mit Kompetenz und Erfahrung. Dadurch können wir Innovationen vorantreiben und individuelle Lösungen anbieten, die uns klar vom Wettbewerb unterscheiden. Durch die Neuentwicklungen schaffen wir Synergien zwischen Zutrittskontrolle und Parkautomation. Das gesteigerte Interesse bestätigt unseren Weg.“

Miriam Rieder

Herausforderungen, etwa im Bereich Fachkräftemangel oder Weiterbildung. Qualifizierte Mitarbeiter, die mit neuen Technologien umgehen können, sind gefragter denn je.
DER BLICK IN DIE ZUKUNFT Neben etablierten Unternehmen gewinnen auch junge Betriebe und Start-ups an Bedeutung. Sie bringen neue Ideen in den Markt und setzen oft auf innovative Geschäftsmodelle, die auf Flexibilität und Spezialisierung ausgerichtet sind. Unterstützt werden sie durch verschiedene Förderprogramme und Netzwerke, die ihnen den Einstieg erleichtern und den Austausch mit erfahrenen Unternehmern ermöglichen.
Die Stärke des Wirtschaftsstandorts Pustertal und Südtirol liegt letztlich in seiner Vielfalt. Unterschiedliche Branchen, Unternehmensgrößen und Entwicklungsansätze ergänzen sich und schaffen ein dynamisches Umfeld. Innovation entsteht dabei nicht nur in großen Projekten, sondern oft auch im Kleinen – in der kontinuierlichen Verbesserung von Produkten, Dienstleistungen und Arbeitsprozessen.
Das Sonderthema „Innovative Unternehmen“ zeigt, dass die Region gut aufgestellt ist, um auch in Zukunft erfolgreich zu sein. Voraussetzung dafür bleibt jedoch, dass Betriebe weiterhin bereit sind, neue Wege zu gehen, in Ausbildung und Forschung zu investieren und die Zusammenarbeit innerhalb der Region zu stärken. // bp
INGENIEURBÜRO BERGMEISTER
Innovativ und bodenständig
KONSTRUKTIVER INGENIEURBAU
ENERGIE & VERSORGUNGSTECHNIK
ELEKTROTECHNIK
SICHERHEIT & BRANDSCHUTZ
INFRASTRUKTUREN & UMWELTTECHNIK
FORSCHUNG & ENTWICKLUNG






Bergmeister ist ein Ingenieurbüro für öffentliche und private Auftraggeber. Seit der Gründung 1990 in Brixen durch Prof. Konrad Bergmeister ist das Unternehmen auf sieben Standorte in Südtirol, Österreich, Deutschland und der Schweiz gewachsen und realisiert als internationales Unternehmen Projekte in Südtirol und ganz Europa. Über 140 hoch qualifizierte Mitarbeitende arbeiten in allen Ingenieurdisziplinen in Vahrn in sämtlichen Fachgebieten des Bauens, am Standort Bruneck in der elektrotechnischen Planung. Planerische Entscheidungen wirken langfristig und prägen das tägliche Leben. Dieses Bewusstsein bestimmt unser verantwortungsvolles Handeln. Als Innovationstreiber setzen wir auf voll digitalisierte Planung mit Building Information Modelling und entwickeln nachhaltige Lösungen – von Fernheizwerken im Pustertal bis zu komplexen Infrastruktur- und Industriebauten. Zu unseren aktuellen Projekten zählen u. a. die Beleuchtung des Biathlonzentrums Antholz sowie das Rechenzentrum der Schwarz Gruppe in Lübbenau mit einer Gesamtinvestition von 11 Mrd. Euro. Die Zusammenarbeit mit renommierten Architekturbüros und die Bearbeitung international ausgerichteter Projekte gehören zu unseren besonderen Stärken. In Vahrn und an unseren weiteren Standorten bearbeiten wir lokale und internationale Projekte in erfahrenen, interdisziplinären Teams. Aufgrund unseres Wachstums suchen wir laufend neue Kolleginnen und Kollegen. Wir bieten moderne Arbeitsplätze, innovative Projekte und Entwicklungsmöglichkeiten für alle Fachbereiche und Erfahrungsstufen – vom Oberschulabsolventen bis zum Projektleiter. Mehr unter http://www.bergmeister.eu/de/karriere. // PR-Info
Pixabay
Elpo investiert in die Zukunft
In der Industriezone West in Bruneck hat das Südtiroler Elektrotechnikunternehmen Elpo nur 100 Meter vom bisherigen Hauptsitz entfernt ein neues, modernes Betriebsgebäude errichtet. Mit einer Kubatur von rund 35.000 m³ und deutlich vergrößerten Flächen markiert der Neubau einen wichtigen Meilenstein der Firmengeschichte. Die Kapazitäten des alten Gebäudes sind seit Jahren an die Grenzen gestoßen. Nun stehen erweiterte Produktionsflächen von 1.100 m², ein effizienteres Lager und eine größere Anzahl an Büros zur Verfügung. Das Gebäude wurde flexibel gestaltet, um auf Marktänderungen entsprechend reagieren zu können.
LOGISTIK UND NACHHALTIGKEIT

v.l.n.r. Geom. Wolfgang Obkircher, Arch. Werner Kleon, Raffael, Robert und Elias Pohlin
Großes Augenmerk wurde im neuen Gebäude auf die Logistik und Nachhaltigkeit gelegt. Die Lager- und Materialwirtschaft wurde an die neue Umgebung angepasst. Durch direktere Wege gelangt das Material in möglichst wenigen Schritten vom Wareneingang in die Produktion sowie vom Umschlagplatz zu den Abholboxen der Monteure. Vom Umschlagplatz aus starten täglich 120 Monteure mit dem benötigten Material auf die Baustellen. Nachhaltigkeit spielte beim Bau eine zentrale Rolle: Das energieautarke Gebäude wird über eine Photovoltaikanlage mit 115 kWp, Batteriespeicher und einer Wärmepumpe versorgt. Mit dem Energiemanagement System
wird die produzierte Energie genau zu den Orten geleitet, an der sie gerade notwendig ist. Dadurch ist ein optimaler Verbrauch der eigens produzierten Energie garantiert.
OPTIMALE ARBEITSUMGEBUNG
Für die Mitarbeitenden bietet der Neubau eine moderne Arbeitsumgebung mit ergonomischen Arbeitsplätzen, offenen Kollaborationszonen, Schulungsraum, Mensa, Fitnessraum und hellen Aufenthaltsbereichen. Auch architektonisch setzt das Gebäude Akzente: Sichtbeton, offene Installationen und die Fassadengestaltung in Firmenfarben unterstreichen die industrielle Unternehmensidentität. Die Bauarbeiten wurden zwischen November 2024 und Dezember 2025 umgesetzt, mit Einzug im Januar 2026. Zahlreiche regionale Partnerbetriebe waren am Projekt beteiligt. Die Unternehmensführung sieht im Neubau eine Investition in die Zukunft des Unternehmens und seine Mitarbeitenden. // PR-Info
DAS PROJEKTTEAM
Architektur: Werner Kleon
Projektleitung: Wolfgang Obkircher (Obkircher GmbH)
Elektroplanung: Gerhard Sölva (Ing. Thaler)
HLK-Planung: Dieter Schenk (Studio Troi & Schenk)

DIGITALISIERUNG
Große Chance für den Mittelstand
Die Digitalisierung verändert die Wirtschaft grundlegend. Vor allem kleine und mittelständische Unternehmen stehen vor der Herausforderung, ihre Prozesse anzupassen und neue Technologien sinnvoll zu integrieren. Dabei geht es längst nicht mehr nur um IT-In-

SCHWÄRZER IN GAIS
400 Jahre
Metallhandwerk
Dfrastruktur, sondern um die umfassende Neugestaltung von Arbeitsabläufen, Kundenbeziehungen und Geschäftsmodellen. Viele Betriebe setzen bereits auf digitale Lösungen, um effizienter zu arbeiten und wettbewerbsfähig zu bleiben. Automatisierte Produktionsabläufe, digitale Buchhaltungssysteme oder Online-Vertriebskanäle sind nur einige Beispiele dafür. Gleichzeitig wächst der Bedarf an Fachkräften, die diese Entwicklungen begleiten können. Aus- und Weiterbildung gewinnen daher zunehmend an Bedeutung. Die Digitalisierung bietet insbesondere regionalen Unternehmen die Chance, ihre Reichweite zu erhöhen und neue Märkte zu erschließen. Voraussetzung ist jedoch eine strategische Herangehensweise, die sowohl technische als auch organisatorische Aspekte berücksichtigt. // bp

ie Schwärzer GmbH in Gais steht seit über 400 Jahren für Metallhandwerk. Erstmals 1606 als Huf- und Waffenschmiede erwähnt, führte die Familie den Betrieb über viele Generationen in die Gegenwart. Heute leiten Margit Schwärzer und ihr Vater Josef das Unternehmen und verbinden Tradition mit moderner Fertigung. Das Team realisiert individuelle Lösungen in Eisen, Aluminium und Inox – von Stahlbau, Überdachungen und Blechverarbeitung bis zu Innenausbau, Treppen, Geländern, Toren und Zäunen. Planung, Fertigung und Montage kommen aus einer Hand. Die lange Geschichte, die familiäre Führung und die Vielseitigkeit des Angebots – vom massiven Stahlprojekt bis zur maßgeschneiderten Einzelanfertigung – heben den Betrieb deutlich von anderen ab. Kundinnen und Kunden profitieren von Beratung und termintreuen langlebigen Lösungen. // PR-Info


Leidenschaft Metall seit über 400Jahren Leidenschaft Metall seit über 400Jahren



... das Gipfelgefühl erleben
Wellness im Zimmer –
Positive Wirkung auf Körper und Seele
... das Gipfelgefühl erleben
MInfrarotwärme allein ist zu trocken und kein Maßstab für die Gesundheit, sondern lediglich eine technische Bezeichnung für Wärmestrahlung. Da sich unsere Hautporen bei trockener Lu schließen, wird Schwitzen und Atmen zu einer großen Belastung für unseren Kreislauf.
Wie wirkt Hydroso ®:
ein moderner Trend für Hotels
• Verjüngung des Hautbildes
• Anregung des Kreislaufes
•Mobilisierung der Selbstheilungskrä e und Anregung des Stoffwechsels
• Stärkung des Imunsystems
• Regulierung des Blutdrucks und Stärkung der Blutgefäße
it Hydrosoft-Kabinen erweitern Hotels ihr Angebot gezielt für ihre Gäste, die auch im Zimmer hochwertige Wellness genießen möchten. Die ausgewogene Kombination aus Infrarotwärme und Wasserdampf sorgt für eine besonders schnelle und wirkungsvolle Entspannung sowie die Regeneration der Muskulatur – ideal nach einem aktiven Urlaubstag.
Hydroso ® behandelt Schwitzen als ganzheitliches Thema.
Die großen, umhüllenden Infrarot-KarbonHeizflächen sorgen für behagliche Rundum-Wärme. Parallel dazu entspannt der san e Wasserdampf die Nerven, vitalisiert Augen und Atemwege und verschönert das Hautbild. Angenehme Temperaturen um 30°C - 40°C und eine relative Lufeuchtigkeit von ca. 70 bis 90% schaffen ein feuchtes Lu bad wie in den Tropen. Deshalb schwitzen wir schneller, leichter und gesünder.
• Wirkt befreiend auf Atemwege, Augen und Nervensystem
• Entspannung der Muskulatur und Linderung der Schmerzen
Wellness im Zimmer ermöglicht Ihren Gästen maximale Privatsphäre und ungestörte Erholung bei gleichzeitig höchster Hygienesicherheit. Das Angebot ist rund um die Uhr nutzbar und lässt sich stilvoll in bestehende Zimmerkonzepte integrieren. Für Ihr Hotel entsteht dadurch ein klares Alleinstellungsmerkmal, das die Attraktivität steigert, neue Zielgruppen anspricht und höhere Zimmerpreise sowie eine bessere Auslastung ermöglicht. Gleichzeitig eröffnen sich Möglichkeiten zur Schaffung exklusiver Zimmerkategorien. Die Hydrosoft-Technologie ist speziell auf die Anforderungen im Hotelbetrieb abgestimmt. Sie überzeugt durch eine einfache, intuitive Bedienung, berührungssichere Wärmeflächen und kurze Aufheizzeiten von etwa 10 bis 15 Minuten. Der Pflege- und Reinigungsaufwand bleibt gering, was den täglichen Betrieb erleichtert. Lange Garantiezeiten sorgen für zusätzliche Investitionssicherheit. Da kein Wasseranschluss erforderlich ist und eine normale Steckdose ausreicht, gestaltet sich die Integration unkompliziert, während der Energieverbrauch auf einem niedrigen Niveau bleibt. // PR-Info
Hydroso ®es Schwitzen ist ein Geschenk für die Gesundheit und für das Wohlbefinden – Schwitzen ist lebenswichtig, gesund und ist einer der vier Wege der Körperentgi ung durch das ideale Verhältnis zwischen Infrarotwärme und Wasserdampf.

Deshalb schwitzen wir schneller, leichter und gesünder.
es Schwitzen ist ein Geschenk für die Gesundheit und für das Wohlbefinden – Schwitzen ist lebenswichtig, gesund und ist einer der vier Wege der Körperentgi ung durch das ideale Verhältnis zwischen Infrarotwärme und Wasserdampf.
belebendem
Die Fachberater im Pustertal
Christian Unterfrauner +39 349 296 26 29
Paul Oberhuber +39 348 365 93 87 www.hydrosoft.at


Die Fachberater im Pustertal
Paul Oberhuber +39 348 365 93 87
Christian Unterfrauner +39 349 296 26 29

NXT – das neue Im-Ohr-Hörsystem, das alles kann!
Entdecken Sie jetzt bei Zelger die neue Generation der Im-Ohr-Hörsysteme. Sie bieten alles, was Sie sich wünschen, und sind dabei sehr diskret.
Erleben Sie beste Klangqualität durch KI, wiederaufladbare Technik und Bluetooth®-Konnektivität.
Bozen, Romstraße 18M
Mo.-Fr. 8.30-12.30, 14.00-18.00
Brixen, Stadelgasse 15A
Mo.-Fr. 8.30-12.30, 14.00-18.00
Bruneck, Herzog-Sigmund-Straße 6C
Mo.-Fr. 8.30-12.30 Uhr 14.00-18.00 Uhr
T 800 835 825 zelger.it
Ihre Hörexperten

KEIN NISCHENTHEMA
Nachhaltigkeit als Innovationstreiber
Nachhaltigkeit ist längst kein Nischenthema mehr, sondern ein zentraler Bestandteil unternehmerischer Strategien. Auch im Pustertal setzen immer mehr Unternehmen auf umweltfreundliche Lösungen und ressourcenschonende Produktionsweisen. Dabei zeigt sich, dass ökologische Verantwortung und wirtschaftlicher Erfolg zunehmend Hand in Hand gehen. Innovationen entstehen häufig dort, wo neue Anforderungen umgesetzt werden müssen. So führen strengere Umweltauflagen oder
steigende Energiepreise dazu, dass Betriebe in effizientere Technologien investieren. Gleichzeitig wächst die Nachfrage nach nachhaltigen Produkten und Dienstleistungen, was zusätzliche Marktchancen eröffnet.
In Südtirol profitieren Unternehmen zudem von regionalen Netzwerken und Förderprogrammen, die nachhaltige Projekte unterstützen. Dadurch wird die Entwicklung innovativer Lösungen erleichtert und beschleunigt. // bp
Service und Kundendienst stehen im Mittelpunkt
Wir präsentieren, getragen von langjähriger Erfahrung und fundiertem technischem Know-how, zahlreiche innovative

Goethe Str. 13b - 39031 Bruneck (BZ) Tel. 0474 55 57 50 info@jamesstoppa.it - www.jamesstoppa.it


Lösungen rund um telematische Registrierkassen, moderne IT-Systeme und elektronische Etikettierung. Seit über 50 Jahren hört unser Unternehmen auf die Bedürfnisse der Kunden in der Region und wählt gezielt die neuesten, spannendsten und zuverlässigsten Angebote aus, um sie all jenen bereitzustellen, die ihre Geschäftsprozesse weiterentwickeln möchten.
Heute lassen sich digitale Kassenbelege ganz einfach per QR-Code ausgeben – eine umweltfreundliche und papierlose Lösung. Auch kann das klassische POS-Gerät durch ein Smartphone ersetzt werden, sodass Kartenzahlungen bequem direkt am Tisch möglich sind.
Von elektronischen Preisanzeigen über autonome Bestell- und Bezahlsysteme am Tisch bis hin zu Cloud-Lösungen sowie Warenwirtschafts-und Onlineshop-Management: Noch nie war die Auswahl an Tools zur Optimierung Ihres Betriebs so vielfältig. // PR-Info
JAMES STOPPA IN BRUNECK
Unsplah
Hör-Kompetenz aus Südtirol, für Südtirol!
Im September 2024 hat Markus Thaler das Hörzentrum Südtirol gegründet und ist mit sieben Standorten ganz nah bei den Menschen in Südtirol. Er bietet geballte Hör-Kompetenz mit insgesamt bereits zehn Mitarbeiterinnen und Mitarbeitern.
Das Hörzentrum Südtirol ist ein junger und moderner Ansprechpartner rund um das Thema Hören und Hörgesundheit in Südtirol. Mit insgesamt sieben Standorten – Lana, Neumarkt, Eppan, Brixen, Sterzing, Schlanders und in der Stadtgasse in Bruneck – bietet das Unternehmen eine wohnortnahe Betreuung und persönliche Beratung. Kundinnen und Kunden profitieren von einem breiten Angebot. Der professionelle Hörtest wird ohne lange Wartezeiten innerhalb kürzester Zeit im Hörzentrum Südtirol gemacht, ausgedruckt und erklärt. Der Service auf Hörgeräte und die Nachbetreuung sind ein ganzes Hörgeräte-Leben lang kostenlos. Leider unterschätzen viele Menschen, egal welchen Alters, wie wichtig regelmäßige Überprüfungen des Hörvermögens sind. Dabei kann ein Hörverlust schleichend auftreten und bleibt lange Zeit unbemerkt. Ein frühzeitiger Hörtest hilft, Veränderungen des Gehörs rechtzeitig zu erkennen und geeignete Maßnahmen zu ergreifen. Im Hörzentrum Südtirol gibt es auch Hörgeräte für einen sehr leichten Hörverlust, der auch in relativ jungen Jahren auftreten kann. Schlechtes Sprachverstehen in lauter Umgebung oder in großen Sitzungssälen kommt meistens von einer leichten HochtonSchwerhörigkeit, die von den neuesten, sehr kleinen Hörgeräten perfekt ausgeglichen werden kann.



GUTES HÖREN FÜR ALLE
Gutes Hören spielt in jedem Alter eine wichtige Rolle. Bei Kindern ist es eine wichtige Voraussetzung für die Sprachentwicklung und den schulischen Erfolg. Erwachsene profitieren von gutem Hören im Berufsleben und im sozialen Alltag, da gutes Hören Grundvoraussetzung für eine gelungene Kommunikation darstellt. Gutes Hören im Alter trägt wesentlich zur Lebensqualität bei und kann helfen, sozialer Isolation vorzubeugen.
„Für uns vom Hörzentrum Südtirol gibt es kein „zu früh“ oder „zu spät“ für Hörgeräte, gutes Hören ist in jedem Alter sehr wichtig. Folglich sind unsere Kunden in einem Alter zwischen drei Monaten und 97 Jahren“, so Ramona Berger, die sich seit Jahren als Bruneckerin in Bruneck schon dafür einsetzt, dass Menschen in Südtirol rechtzeitig mit Hörgeräten versorgt werden. Sie ist die Hörakustikerin im Hörzentrum Südtirol in Bruneck und bietet zusammen mit ihrer Assistentin Daniela einen ausgezeichneten Service rund ums Hören. Ramona Berger hat neben ihrer Ausbildung zur Hörakustikerin auch den Master in der Kinder- und Jugendversorgung mit Hörgeräten abgeschlossen.
Das Hörzentrum Südtirol gibt es sieben Mal in Südtirol – Ihr Hörzentrum Südtirol in Ihrer Nähe ist in Bruneck in der Stadtgasse. Auf unserer Homepage www.hoerzentrum-suedtirol.it und auf Instagram und Facebook finden Sie interessanten und oft auch sehr amüsanten Inhalt rund ums Hören! // PR-Info

Markus Thaler, Gründer des Hörzentrum Südtirol
Ramona Berger, Hörakustikerin in Bruneck
Unser Hörzentrum in der Stadtgasse
Mit regionalen Wurzeln zum globalen Erfolg
Die Zingerle Group verbindet seit Generationen Unternehmergeist, Fortschritt und Verantwortung. Am Standort in Schabs entstehen Produkte, die weit über die Region hinaus Menschen zusammenbringen.
Aus Südtirol ist sie nicht wegzudenken: Die Forstbank. Die klappbare Bierzeltgarnitur, die in der ganzen Provinz auf Festen, Vereinsund Firmenfeiern zum Zusammensitzen einlädt. Was viele nicht wissen: Hinter der bekannten Forstbank steckt die Zingerle Group, ein international tätiges Familienunternehmen mit Sitz in Schabs. Unter ihrem Dach vereint sie gleich mehrere Marken: Mastertent und Ecotent stehen für hochwertige Faltpavillons, „Ruku1952“ für die robusten Bierzeltgarnituren. Außerdem konnte die Zingerle Group ihr Portfolio im vergangenen Jahr um aufblasbare Zelte unter der Marke Aerise erweitern. Geführt wird das Unternehmen in dritter Generation von CEO Stefan Zingerle. Die Wurzeln der Zingerle Group reichen bis ins Jahr 1948 zurück. Trotz ihrer langen Geschichte entwickelt sie sich laufend weiter, investiert in neue Produkte, neue Märkte und moderne Strukturen. Innovation und Fortschritt gehören seit jeher zur Unternehmenskultur.
VON SÜDTIROL IN DIE GANZE WELT

Veranstaltung durch Südtiroler Kulturschaffende – darunter Musikerinnen und Musiker wie Max von Milland, Anger oder Dominik Plangger. Insgesamt wurden bei den bisherigen Ausgaben knapp 64.000 Euro an Spenden gesammelt. Damit konnten regionale Vereine und Hilfsorganisationen wie der Südtiroler Wünschewagen oder das Eisacktaler Frauenhaus unterstützt werden. Am 6. November 2026 feiert Kultur in der Fabrik ihre zehnte Ausgabe. Zum Jubiläum steht das Trio Ganes aus dem Gadertal auf der Bühne, das mehrstimmig und klangvoll die Natur und Legenden seiner Heimat besingt.
ARBEITGEBER MIT WIR-GEFÜHL
Auch wenn die Zingerle Group fest in Südtirol verankert ist, reicht ihr Radius weit über die Landesgrenzen hinaus. Neben dem Hauptsitz in Schabs gehören elf Tochtergesellschaften zur Unternehmensgruppe, unter anderem in den USA, Spanien, Polen und den Niederlanden. Weltweit beschäftigt die Zingerle Group mehr als 400 Mitarbeitende. Damit ist das Unternehmen viel mehr als ein kleiner Familienbetrieb aus Südtirol. Dass die hochwertigen Faltpavillons und Garnituren der Zingerle Group international gefragt sind, zeigt ein Blick auf die Kunden weltweit: Von Schabs aus werden sie in zahlreiche Länder rund um den Globus geliefert, von Hawaii bis Japan.

NACHHALTIGKEIT ALS TEIL DER
UNTERNEHMENSKULTUR
Als Familienunternehmen denkt die Zingerle Group langfristig und versteht Nachhaltigkeit als kontinuierlichen Prozess. Ziel ist es, Produkte und Prozesse laufend zu verbessern und den ökologischen Fußabdruck so gering wie möglich zu halten. Ein konkretes Beispiel dafür ist die Beteiligung an einem Aufforstungsprogramm am zweiten Produktionsstandort der Gruppe, in Rumänien. In den vergangenen Jahren hat die Zingerle Group dabei über 40.000 Bäume gepflanzt. Neben ökologischen Themen legt die Zingerle Group ihren Fokus auch auf die soziale Nachhaltigkeit. Das zeigt sich vor allem in der Veranstaltungsreihe Kultur in der Fabrik, die im vergangenen Jahr bereits zum neunten Mal organisiert wurde. Was als Idee begann, um im direkten Umfeld des Unternehmens etwas Positives zu bewirken, hat sich mit durchschnittlich 450 Besucherinnen und Besuchern zu einer fixen Größe im regionalen Eventkalender entwickelt. Getragen wird die

Nicht nur mit ihrem gesellschaftlichen Engagement setzt die Zingerle Group Akzente, sondern auch als Arbeitgeber. Das Zusammenspiel verschiedener Produkte, Märkte und Branchen macht den Arbeitsalltag im Unternehmen abwechslungsreich. Für Sandra aus Lorenzen, die seit über sieben Jahren in der Grafik am Standort Schabs arbeitet, ist dabei besonders wertvoll, dass „kein Projekt ist wie das andere. Je nach Land und Kunde unterscheiden sich die Anforderungen an die Zeltdesigns deutlich. Wenn man sich darauf einlässt und flexibel bleibt, kann man bei jedem Auftrag etwas lernen.“ Auch abseits des Arbeitsplatzes setzt die Zingerle Group auf Zusammenhalt. Leistungen wie Pendlergeld, Beiträge zur Rentenvorsorge oder Kita-Zuschüsse unterstützen die Mitarbeitenden im Alltag. Zusätzlich wurde ein Mitarbeiterclub gegründet: „Ich mag, dass wir durch den ZG-Club auch außerhalb des Büros Zeit miteinander verbringen können. Bei gemeinsamen Aktivitäten – zum Beispiel beim Wandern oder beim Go-KartFahren – entsteht ein Miteinander, das man im Alltag spürt. Dass die Zingerle Group das fördert, bedeutet mir viel,“ so Sandra. Im Sommer 2025 bezog das 60-köpfige Team in Schabs den neuen Hauptsitz an der Pustertaler Straße. Auf 1.520 m2 lichtdurchfluteter, moderner Bürofläche werden Ideen zu Konzepten, Chancen zu erfolgversprechenden Strategien. Mit dem Umzug konnten außerdem die Produktionsund Lagerkapazitäten erweitert werden.
BUILDING-UP-MOMENTS
Ob in Schabs oder Übersee: Über alle Standorte hinweg bleibt die Mission dieselbe: nachhaltige und langlebige Lösungen für Momente zu entwickeln, in denen Menschen zusammenkommen. Sei es die Bierzeltgarnitur auf der Berghütte, der Faltpavillon beim Speckfest oder das aufblasbare Zelt beim Erdäpfllauf: Mit ihren Produkten schafft die Zingerle Group Raum für gemeinsame Erinnerungen. Sie fertigt, was Menschen verbindet. // PR-Info

BUILDING UP MOMENTS
Seit 75 Jahren schaffen wir Momente, die Menschen zusammenbringen. Für ein Miteinander, das in Erinnerung bleibt. zingerle.group
DIE ZUSAMMENARBEIT
Der Schlüssel zum Erfolg
Ein wesentlicher Erfolgsfaktor für Innovation im Land ist die Zusammenarbeit zwischen verschiedenen Akteuren. Unternehmen, Forschungseinrichtungen, öffentliche Institutionen und Netzwerke arbeiten zunehmend enger zusammen, um gemeinsame Projekte umzusetzen.
Gerade im Pustertal entstehen durch solche Kooperationen neue Impulse. Der Austausch von Wissen und Erfahrungen ermöglicht es, innovative Ideen schneller zu entwickeln und in die Praxis umzusetzen. Gleichzeitig profitieren kleinere Betriebe davon, dass sie auf externe Kompetenzen zurückgreifen können.
Diese Form der Zusammenarbeit stärkt nicht nur einzelne Unternehmen, sondern den ge-
LOACKER IN HEINFELS
Köstliche
samten Wirtschaftsstandort. Sie trägt dazu bei, dass Innovation nicht isoliert entsteht, sondern als gemeinsamer Prozess verstanden wird. // bp

Unterhaltung
auch für Schulklassen, Vereine und Busgruppen
Das neu umgebaute Loacker Café bietet neben einem modernisierten Einkaufserlebnis auch Workshops für private Teilnehmer sowie Verkostungen für Gruppen bis zu 50 Personen.
Workshop: Die Teilnehmer stellen ihre eigene XL-Waffel her mit den original Cremefüllungen und knusprigen Waffelblättern von Loacker. Sie erhalten außerdem interessante Einblicke in aktuelle Themen bei Loacker, wie z.B. die nachhaltigen Rohstoffprojekte, soziale und



faire Zusammenarbeit mit lokalen Bauern, moderne Verpackungen und vieles mehr.
Verkostung: Die Teilnehmer bekommen bei Präsentation und Film eine Auswahl der besten Loacker Waffelvariationen zum Probieren. So kann jeder für sich herausfinden, welche Produkte zu seinen Favoriten gehören. Film und Präsentation sind wie beim Workshop inbegriffen. //PR-Info
FOTOPOINT:
Direkt vor dem Loacker Café in Heinfels befindet sich die mit 7,5 Metern größte Loacker-Quadratini-Packung der Welt.
Sonnenterrasse und Eisdiele im Sommer!
BURG HEINFELS: in nächster Nähe, ab Mai 2026 ganzjährig geöffnet!
Öffnungszeiten Loacker Café: täglich von 9-18 Uhr


LOACKER GENUSSWELT IN HEINFELS ENTDECKE UNSERE NEUEN PRODUKTE
KÖSTLICHE UNTERHALTUNG IN DER MITMACHKONDITOREI
Unsplah
Der eine Ton zwischen Resonanz und Präsenz
Deine Stimme als Schlüssel zur beruflichen Stärke – erlebnisorientierte Fortbildung!
In einer Arbeitswelt, die von Tempo, Leistungsdruck und ständigem Denken geprägt ist, geht oft verloren, was den Menschen im Innersten stärkt: die Verbindung zu sich selbst. Genau hier setzt die Fortbildung „Der EINE Ton“ an und eröffnet einen neuen, ganzheitlichen Zugang zu beruflicher Präsenz und innerer Stabilität.

Im Mittelpunkt steht die Stimme – nicht als bloßes Werkzeug der Kommunikation, sondern als lebendige Brücke zwischen Körper, Gefühl und Verstand. Viele Menschen erleben im Berufsalltag eine wachsende Diskrepanz zwischen kognitiver Leistung und emotionalem Erleben. Diese innere Spannung wirkt sich nicht nur auf die eigene Gesundheit aus, sondern auch auf die Qualität von Beziehungen und Zusammenarbeit. Der Workshop greift dieses Spannungsfeld auf und bietet einen erfahrungsorientierten Raum, in dem die Teilnehmenden ihre eigene Stimme neu entdecken können.
DEN MENSCHEN KOMPLETT EINBEZIEHEN
Die von Peter Jan Marthé entwickelte Stimm- und Resonanzarbeit geht dabei weit über klassische Methoden hinaus. Sie versteht sich nicht als Technik, sondern als unmittelbare Erfahrung, die den ganzen Menschen einbezieht. Durch gezielte Übungen wird die Stimme als Resonanzraum erfahrbar gemacht, der dabei hilft, innere Klarheit zu gewinnen, Stress zu regulieren und die eigene Präsenz zu stärken. Wer sich auf diesen Prozess einlässt, erlebt, wie sich berufliche Kommunikation verändert. Die Stimme gewinnt an Tiefe, Authentizität und Ausdruckskraft. Gleichzeitig entsteht ein neues Gefühl von innerer Balance, das sich unmittelbar auf das berufliche Umfeld überträgt. Beziehungen werden klarer, Begegnungen echter, Entscheidungen stimmiger.
Die Fortbildung richtet sich an Menschen, die in ihrem Beruf stark gefordert sind und viel Verantwortung tragen. Besonders angesprochen sind Personen aus pädagogischen, therapeutischen und psychosozialen Bereichen sowie Führungskräfte, die ihre Kommunikationsfähigkeit vertiefen und gleichzeitig bei sich selbst bleiben möchten. „Der eine Ton“ ist mehr als ein Workshop. Es ist eine Einladung, sich selbst wieder als Ganzes zu erleben – und die eigene Stimme als kraftvollen Schlüssel für ein authentisches und erfülltes Berufsleben zu nutzen. // PR-Info
SEMINARPLATZ 2 39042 BRIXEN
TEL +39 0472 832 204
WWW CUSANUS BZ IT
INFO@CUSANUS BZ IT

Entfessle dein Potenzial

Frauengesundheit durch achtsame Ernährung


















Referentin: Ivonne Daurú Malsiner
FR 10.04.2026
9 - 17 Uhr

Geburtsvorbereitung kompakt
Referentinnen: Sara Ottaviani & Silvia Weissteiner
SA 11.04. - SO 12.04.2026
SA 9 - 18 und SO 9 - 17 Uhr
Ins Kloster gehen: Buchvorstellung

Der EINE Ton. Resonanz und Präsenz
Referenten: Peter Jan Marthé & Michael Lackner
FR 17.04. - SO 19.04.2026
FR 16 - 22, SA 10 - 22 & SO 10 - 14 Uhr
Dialogkreis Begleitung
Referent :in Jutta Wieser & Benno Kapelari
FR 17.04. - SO 19.04.2026
FR 10 - 18, SA 9 - 18 & SO 9 - 14 Uhr

Gesundheit beginnt im Kopf
Referent :in Angela Huemer & Manfred Rauchensteiner
SA 02.05.2026
9 - 17 Uhr
Haltung wirkt

Dynamic Facilitation (DF) –die Methode fürs Unlösbare
Referent :in Katharina Erlacher & Markus Götsch
DO 07.05. - SA 09.05.2026
DO 14 - 21 & FR + SA 9 - 17 Uhr
Folgen Sie uns auf den Sozialen Medien und bleiben Sie informiert!
Regionale Stärke durch Spezialisierung

Viele Unternehmen im Pustertal setzen bewusst auf Spezialisierung, um sich am Markt zu positionieren. Statt möglichst breit aufgestellt zu sein, konzentrieren sie sich auf bestimmte Nischen, in denen sie besondere Kompetenzen entwickeln können.
Diese Strategie ermöglicht es auch kleineren Betrieben, international erfolgreich zu sein. Durch hohe Qualität, Innovationskraft und

Flexibilität können sie sich gegenüber größeren Wettbewerbern behaupten. Gleichzeitig bleibt die regionale Verankerung erhalten, was ein wichtiger Bestandteil der Südtiroler Wirtschaftsstruktur ist. Die Kombination aus Spezialisierung und Innovationsbereitschaft trägt wesentlich dazu bei, dass das Pustertal als Wirtschaftsstandort weiterhin attraktiv bleibt und sich erfolgreich weiterentwickelt.
Modernste Technologie und Innovation

In Pfalzen setzt die innovative Zahnarztpraxis Dr. Jule Hirte auf modernste Technologie: den Intraoralscanner der neuesten Generation. Mit einer kleinen Kamera werden Zähne und Kiefer in Sekundenschnelle digital erfasst – ganz ohne klassische Abdruckmasse. Für Patientinnen und Patienten bedeutet das vor allem mehr Komfort. Der unangenehme Würgereiz entfällt vollständig, da die Situation im Mund schonend, präzise und schnell gescannt wird. Innerhalb weniger Minuten entsteht ein exaktes dreidimensionales Modell.
Ein großer Vorteil liegt in der digitalen Dokumentation: Die Aufnahmen werden gespeichert und können jederzeit wieder abgerufen werden – sei es nach einem Unfall oder Jahre später. Veränderungen lassen sich so nachvollziehen und Behandlungen gezielt planen.
Auch die Zusammenarbeit mit dem zahntechnischen Labor wird deutlich effizienter. Die Daten werden direkt digital übermittelt, wodurch Fehlerquellen reduziert und Abläufe beschleunigt werden. Zahnersatz kann dadurch passgenau und individuell gefertigt werden.
Dr. Jule Hirte steht Ihnen dabei jederzeit mit persönlicher Beratung zur Seite. Einfach den QR-Code scannen und Termin vereinbaren –bequem auch online. // PR-Info
Unsplah
Noi
Techpark
ZAHNARZTPRAXIS DR. JULE HIRTE
Präzision und Vertrauen
Das hoch spezialisierte Team der Radiologie ist bekannt für sein breites Spektrum an Diagnosen und Behandlungen –von präzisen MRT-Untersuchungen des Gehirns und CT-Scans (mit oder ohne Kontrastmittel) hin zur hochauflösenden Mammografie und ultraschallgezielten Infiltrationen. Doch medizinische Untersuchungen sind oft mit Fragen und Unsicherheit verbunden. Deshalb müssen technologische Exzellenz und menschliche Kompetenz konsequent Hand in Hand gehen. Nur so kann eine absolut zuverlässige Diagnose garantiert werden, ohne das Wohlbefinden der Patienten aus dem Blick zu verlieren.
Um die Genauigkeit der Befunde weiter zu steigern, setzt die Abteilung seit Neuestem auf eine speziell für die Radiodiagnostik entwickelte Künstliche Intelligenz. Diese dient den Fachärzten als wertvolles Werkzeug zur Diagnose und sorgt für eine noch präzisere Bildinterpretation. „Die Technologie unterstützt uns dabei, noch exakter und zeitnaher zu arbeiten, doch sie ersetzt niemals die klinische Erfahrung“, betont Priv.-Doz. Dr. Tobias De Zordo. Das persönliche Patientengespräch sowie die individuelle fachliche Einschätzung bleiben fraglos ein unverzichtbares Fundament jeder Behandlung.
Die Privatklinik ist für ihre kurzen Wartezeiten bereits bekannt, genauso wie für höchst sorgfältige Untersuchungen. Durch den Einsatz von KI erfahren beide Aspekte eine weitere Optimierung.
// PR-Info
KI in der Radiologie
Schnelle und sichere Diagnosen
• Röntgen
• CT & MRT
• Ultraschall
• Vorsorge & Frühdiagnostik
• Screening

Die Radiologie aufsuchen bei: chronischen Kopfschmerzen, Schwindel, Taubheitsgefühlen, Verdacht auf Schlaganfall, Rückenschmerzen, Bandscheibenvorfall, Sportverletzungen wie Bänderrissen, Gelenkschmerzen oder Sturzverletzungen …
Immer erreichbar | T 0472 824 800 | www.brixsana.it
FLAMINGO DRUCKPARADIES
Großformatdruck
made in Südtirol
Wenn es um Großformatdruck geht, dreht sich bei Flamingo Druckparadies alles um Qualität, Geschwindigkeit und Vielfalt. Als Hersteller mit eigener Produktion in Südtirol garantiert das Unternehmen kurze Wege, schnelle Lieferzeiten und höchste Präzision.
Das Sortiment reicht von Displays, Bannern und Schildern über Fahnen, Masten und Werbeplanen bis hin zu nachhaltigen Druckprodukten, Bekleidung und individuellen Sonderlösungen. Produziert wird von Einzelstücken bis hin zu Großauflagen.

Besonders komfortabel: Der gesamte Bestellprozess läuft online. Produkte lassen sich einfach konfigurieren und kalkulieren. Wer keine fertigen Druckdaten besitzt, gestaltet die meisten Artikel direkt im Shop – unkompliziert und ohne Vorkenntnisse.
Eigene Fertigung bedeutet nicht nur Schnelligkeit bis hin zu Overnight-Lieferung, sondern auch bewussten Umgang mit Ressourcen und minimierten Materialabfall.
Flamingo Druckparadies – Einzigartig durch Druckprodukte! Jetzt entdecken auf druckparadies.eu. // PR-Info


THEURL BIETET REGIONALE ENERGIE MIT PREISVORTEIL
Jetzt Pellets zum Einlagerungspreis sichern
Vorausschauendes Bestellen zahlt sich aus: Das Tiroler Familienunternehmen Theurl bietet derzeit hochwertige Pellets zu einem attraktiven Einlagerungspreis an. Wer frühzeitig bestellt, profitiert von einem günstigen Preisniveau, hoher Produktqualität und einer verlässlichen Lieferung direkt ab Werk.
NACHHALTIGE KREISLAUFWIRTSCHAFT AUS OSTTIROL
Produziert werden die Pellets im modernen Werk in Assling ausschließlich aus eigenen Sägenebenprodukten. Damit setzt Theurl konsequent auf Kreislaufwirtschaft und eine effiziente Nutzung regionaler Ressourcen. Jeder Baumstamm wird vollständig verwertet – von Schnittholz und Hobelware über Brettschichtholz (BSH) und Brettsperrholz (CLTPLUS) bis hin zur nachhaltigen Energiegewinnung. So entstehen Pellets, die für eine umweltfreundliche und regionale Wärmeversorgung stehen.
PREISVORTEIL NUTZEN UND REGIONAL VORSORGEN
Der aktuelle Einlagerungspreis bietet Haushalten und Betrieben die Möglichkeit, ihre Pelletlager kostengünstig zu füllen. Gleichzei-


tig sorgt die Produktion direkt in der Region für ein hohes Maß an Versorgungssicherheit. Kurze Wege machen Theurl zu einem verlässlichen Partner – so bleibt die Wärme aus der Region in der Region und kommt genau dorthin, wo sie gebraucht wird.
VERLÄSSLICHE LIEFERUNG DIREKT INS HAUS
Dank des firmeneigenen Fuhrparks mit modernen Silo-LKWs beliefert Theurl Kundinnen und Kunden in Südtirol, Osttirol, Oberkärnten und im Pinzgau zuverlässig, pünktlich und ohne Zwischenhändler. Diese direkte Lieferkette vom Produzenten zum Verbraucher reduziert durch kurze Transportwege auch die CO₂-Bilanz spürbar.
Die Pellets können einfach und bequem online bestellt werden - mit tagesaktuellen Preisen und flexibler Terminvereinbarung. Weitere Informationen gibt es unter www.theurl-pellets.at. // PR-Info



PELLETS ZUM

Moderne und sichere Kommunikationsnetze sind wichtig
Die Landesregierung setzt auf Innovation, moderne Technologien und die Verbesserung der Kommunikationsnetze, um eine flächendeckende und zukunftssichere Versorgung im ganzen Land zu gewährleisten. Ein weiterer wichtiger Baustein wurde am Speikboden gesetzt.
Die Landesregierung hat am 20. März 2026 die Finanzierung der Rundfunkanstalt Südtirol (RAS) für das Jahr 2026 beschlossen. Insgesamt stellt das Land Südtirol 6,06 Millionen Euro für laufende Ausgaben und Investitionen bereit. Damit sichert das Land die flächendeckende Versorgung mit Radio-, Fernseh- und Kommunikationsdiensten und treibt den Ausbau der digitalen Infrastruktur gezielt voran.
Von der Gesamtsumme entfallen 1,78 Millionen Euro auf laufende Ausgaben und 1,28 Millionen Euro auf Investitionen gemäß dem genehmigten Tätigkeitsprogramm. Weitere drei Millionen Euro stellt das Land für zusätzliche strategische Projekte bereit. Diese Mittel werden nach Abschluss der Arbeiten detailliert abgerechnet.
Ein zentraler Schwerpunkt liegt in der Verbesserung der Mobilfunkund Datenversorgung in bisher unterversorgten Gebieten. Dafür sind 1,5 Millionen Euro für den Einsatz der sogenannten DAS-Technolo-

gie vorgesehen. Mit diesen Mitteln wird unter anderem die Mobilfunkabdeckung in Radein/Glen, Fanealm/Altfasstal, Weißenstein, Karerpass/Karersee/Nigerpass, Laasertal/Schladrauntal, Rein in Taufers/Knuttenalm und den drei Marlinger Tunneln der STA umgesetzt. Das Projekt der Marlinger Tunnel dient zugleich als Grundlage für weitere Vorhaben, etwa für die Versorgung von Eisenbahntunneln der RFI „Kardaun“, „Schlern“ und „Pflersch“ sowie insbesondere entlang der Riggertalschleife und im neuen Virgltunnel.
IN DIE ZUKUNFT BLICKEN
„Wir investieren gezielt in eine moderne und sichere Kommunikationsinfrastruktur für ganz Südtirol“, betont Gouverneur Arno Kompatscher. „Gerade in sensiblen Bereichen wie Tunneln ist eine verlässliche Mobilfunkversorgung entscheidend“, ergänzt RAS-Direktor Georg Plattner. „Die RAS gewährleistet eine flächendeckende Versorgung und entwickelt die technische Infrastruktur konsequent weiter“, erklärt RAS-Präsident Peter Silbernagl.
Weiter auf Seite 68 >>

Robotics
Willkommen in der Gegenwart
MIT TRANSPORT- UND REINIGUNGSROBOTER KOMFORT ERLEBEN
Eindeutige Kostenersparnis
Personal muss weniger Zeit für Reinigung/Transport aufwenden Hygiene auf neuem Level
T. 0471 301 822
Rufen Sie uns an!
Mitterweg 13A · Bozen info@komag.it · www.komag.it

Komfort und
WSauberkeit
illkommen in der neuen Ära der Reinigungstechnologie! Unsere neuesten Reinigungs- und Serviceroboter sind da, um Ihren Alltag zu revolutionieren. Erleben Sie die perfekte Kombination aus Innovation, Effizienz und Komfort.

Reinigungsroboter: Unsere intelligenten Reinigungsroboter nehmen Ihnen die mühsame Arbeit ab und sorgen für ein blitzsauberes Ambiente. Mit fortschrittlicher Sensorik und leistungsstarken Reinigungsfunktionen navigieren sie mühelos durch Ihre Räume und erreichen selbst die schwierigsten Ecken. Ob Staub, Schmutz oder Tierhaare – unsere Reinigungsroboter bewältigen alles mit Leichtigkeit. Lassen Sie sich überraschen, wie leise und effektiv sie arbeiten, während Sie sich anderem widmen können.
Serviceroboter: Unsere Serviceroboter sind mehr als nur praktische Helfer – sie sind Ihre neuen besten Freunde im Alltag. Ob es darum geht, Erfrischungen zu servieren oder kleine Besorgungen zu erledigen, unsere Serviceroboter machen alles mit einem freundlichen Lächeln. Mit fortschrittlicher Spracherkennung und einem intuitiven Bedienungssystem sind sie kinderleicht zu steuern und passen sich Ihren individuellen Bedürfnissen an. // PR-Info KOMAG
Wenn Lüftung zum Schutzschild wird
Eine oft übersehene Bedrohung rückt in den Fokus: Die Passiv Energie GmbH hebt den Radonschutz mit einem neuartigen Smart-Sensor für die Hokkaido-HK-300-Reihe auf ein neues Level. Dadurch wird der Umgang mit diesem riskanten Gas deutlich verbessert.
Radon bleibt unsichtbar und geruchslos, stellt jedoch eine erhebliche Gefahr dar. Das radioaktive Edelgas bildet sich natürlicherweise im Boden und gelangt durch kleinste Undichtigkeiten in Gebäude. In geschlossenen Räumen kann es sich unbemerkt anreichern und langfristig schwere gesundheitliche Schäden verursachen. Weltweit gehört Radon zu den häufigsten Auslösern von Lungenkrebs. Besonders in Regionen mit entsprechender geologischer Beschaffenheit steigt das Risiko deutlich. Dennoch wird die Gefahr häufig unterschätzt, da sie weder sichtbar noch direkt wahrnehmbar ist. Hier setzt die Passiv Energie an und bringt den Radonschutz entscheidend voran. Mit einem neu entwickelten, aktiven Sensor für die dezentrale Lüftungsserie Hokkaido HK-300 wird herkömmliche Wohnraumlüftung zu einem intelligent gesteuerten System für mehr Gesundheit im Alltag.
AUTOMATISCHE ANPASSUNG AN REALE MESSWERTE Zentral ist die permanente Analyse der Luftqualität. Anstelle fester Lüftungszeiten orientiert sich das System künftig an tatsächlich gemessenen Radonwerten. Der Sensor erfasst kontinuierlich die Konzentration in der Raumluft und übermittelt die Daten drahtlos über ein sicheres Mesh-Netzwerk an die Lüftungsgeräte. Dadurch kann er flexibel genau dort installiert werden, wo Radon bevorzugt eindringt – etwa in Kellern oder in Bodennähe – ohne zusätzlichen
Achtung Radon!
Hotspot Pustertal
Wohnen Sie im roten Bereich?
Hier wird gefährliches Radon oft im Haus eingeschlossen.

baulichen Aufwand. Sobald ein definierter Grenzwert überschritten wird, reagiert das System automatisch. Die Lüftung erhöht die Luftwechselrate, belastete Luft wird abgeführt und frische Außenluft strömt nach. Sinkt die Konzentration wieder auf ein unbedenkliches Niveau, passt sich die Leistung selbstständig an, um Energie zu sparen. So entsteht ein Zusammenspiel aus hoher Sicherheit und effizientem Betrieb.
EFFIZIENTE TECHNIK FÜR GESUNDE RÄUME
Diese Lösung verbindet gesundheitlichen Schutz mit moderner Gebäudetechnik. Durch eine wirkungsvolle Wärmerückgewinnung bleiben Energieverluste gering, während gleichzeitig die Luftfeuchtigkeit reguliert und Schimmelbildung verhindert wird. Das dezentrale System funktioniert ohne komplexe Rohrleitungen und lässt sich sowohl in Neubauten als auch bei Sanierungen problemlos einsetzen. Mit dem neuen Radon-Sensor baut die Passiv Energie ihr Angebot im Bereich gesundes Wohnen weiter aus. Räume werden nicht nur belüftet, sondern aktiv überwacht und gesteuert. Für Bauherren, Eigentümer und Sanierer bedeutet das ein deutliches Plus an Sicherheit: Die Qualität der Raumluft wird dauerhaft kontrolliert und automatisch optimiert.
Damit wird Lüftungstechnik zu einem stillen, aber wirkungsvollen Begleiter für langfristige Gesundheit – effizient, zuverlässig und nahezu unbemerkt im Alltag. // PR-Info


Sanieren ohne Radon-Falle.




Weitere 1,5 Millionen Euro fließen in die Verlegung des Senderstandortes Karthaus, der derzeit in einem steinschlaggefährdeten Gebiet liegt. Damit erhöht das Land die Betriebssicherheit der Infrastruktur und gewährleistet eine stabile Versorgung.
HOFER-GROUP
Die RAS-Mobilfunkanlage am Speikboden ist im Vorjahr in Betrieb gegangen. RAS
Zusätzlich investiert die RAS in die Modernisierung ihrer technischen Anlagen. Geplant sind Maßnahmen in den Bereichen Sende- und Empfangsinfrastruktur, DVB-, DAB- und UKW-Technologie, Richtfunk- und Transportnetze sowie Server-, Software- und Netzwerktechnik. // pio
Kompetenz, Qualität und Innovation
Seit ihrer Gründung im Jahr 1961 steht die Hofer Group mit Sitz in St. Christina in Gröden für die Verbindung aus handwerklicher Erfahrung, technischer Kompetenz und kontinuierlicher Weiterentwicklung. Gegründet von Paul Hofer, wird das Unternehmen heute von Edgar, Eugen, Georg und Lotte Hofer geführt. Klare Zuständigkeiten, gegenseitiges Vertrauen und ein gemeinsamer Qualitätsanspruch bilden die Grundlage für eine strukturierte und verlässliche Umsetzung aller Projekte.
Im Mittelpunkt stehen die Planung und Realisierung individueller Pool- und Spa-Anlagen. Das Leistungsspektrum umfasst Schwimmbäder, Whirlpools, Saunen, Dampfbäder sowie ganzheitliche Wellnessbereiche inklusive der essenziellen Luftaufbereitung. Jede Lösung wird projektspezifisch entwickelt und präzise auf architektonische, funktionale und technische Anforderungen abgestimmt. So entstehen Anlagen, die gestalterische Klarheit mit hoher technischer Präzision verbinden.
GROSSES TECHNISCHES WISSEN
Charakteristisch ist das Zusammenspiel aus eigener Fertigung und technologischer Entwicklung. Systeme wie Hoboxx, ein modular aufgebautes Filtersystem zur kompakten Organisation und digitalen Steuerung von Technikräumen, stehen exemplarisch für diesen Ansatz. Mit Hoboxx-Green wurde das System Ende 2025 gezielt um nachhaltige Aspekte erweitert und stellt den ressourcenschonenden Ansatz in der Wasserfiltration dar. Ergänzt wird das Portfolio durch Aquarixx, ein hochisolierendes Bausystem, das flexible Gestaltungsmöglichkeiten mit hoher Energieeffizienz vereint. Die qualitative Ausrichtung zeigt sich unter anderem in kürzlich fertiggestellten Projekten wie Camping Olympia, Hotel Anewandter und Hotel Aki. Sorgfalt in der Ausführung, hochwertige Materialien und ein ausgeprägtes Verständnis für Kundenbedürfnisse prägen alle Projekte. So entstehen langlebige Wellnessräume, in denen Technik, Gestaltung und Funktion zu einem stimmigen Gesamterlebnis verschmelzen. // PR-Info

Moderne Lösungen für besseres Hören
Seit über 30 Jahren steht das Südtiroler Unternehmen Besser Hören für moderne Hörlösungen und persönliche Betreuung. Gegründet im Jahr 1994, hat sich das Unternehmen zu einem wichtigen Ansprechpartner für Hörgeräte und Hörberatung entwickelt.
Heute ist Besser Hören mit 27 Servicestellen im ganzen Land vertreten und legt großen Wert auf flexible, persönliche Betreuung. Ein besonderer Service sind kostenlose Hausbesuche: Auf Wunsch kommen die Hörakustiker direkt zu den Kundinnen und Kunden nach Hause. Gerade für ältere Menschen oder Personen mit eingeschränkter Mobilität ist dieser Service eine große Erleichterung. Gleichzeitig bietet er auch allen anderen die Möglichkeit, Beratung und Anpassung der Hörgeräte bequem zu Hause in Anspruch zu nehmen.
Im Mittelpunkt stehen moderne Hörsysteme – wahre HightechGeräte. Sie analysieren die akustische Umgebung in Echtzeit und passen sich automatisch unterschiedlichen Hörsituationen an, sodass Gespräche wieder klar verstanden werden können.
Neben moderner Technik spielt auch die persönliche Betreuung eine zentrale Rolle. Jede Hörminderung ist individuell, deshalb setzt Besser Hören auf ausführliche Beratung, kostenlose Hörtests und maßgeschneiderte Lösungen. // PR-Info
Service für Industrie und Gastronomie
Seit 32 Jahren steht unser Unternehmen für Qualität, Verlässlichkeit und Innovationskraft in der Kälte- und Kühltechnik. Mit einem starken Team aus 15 Mitarbeitern betreuen wir Kunden aus Industrie und Gastronomie und entwickeln maßgeschneiderte Lösungen, die den höchsten technischen und wirtschaftlichen Ansprüchen gerecht werden.
Unser Fokus liegt auf der individuellen Planung und Montage professioneller Verbundanlagen, Wärmerückgewinnungsanlagen sowie Kühlanlagen und Kühlzellen. Unsere Wärmerückgewinnungsanlagen nut-


zen die Abwärme von Kühlprozessen zur Warmwasseraufbereitung und tragen so aktiv zur Senkung der Betriebskosten und zum Umweltschutz bei. Auch im Bereich Kühlzellen bieten wir durchdachte Systeme – von modularen Fertiglösungen bis hin zu individuell geplanten Kühlräumen mit präziser Steuerung und moderner Überwachungstechnik. Unser Anspruch endet nicht mit der Montage: Ein zuverlässiger Service, schnelle Reaktionszeiten und professionelle Wartung – auch an Sonn- und Feiertagen – sichern den langfristigen Betrieb. // PR-Info

ALASKA IN VAHRN




Kinder-Rätselspaß mit PZ-Pezi
Fröhliche Ostern!
Der Osterhase ist müde vom vielen Verstecken der Eier und schläft auf einem Ei ein. Welches ist genau das Zwillingsabbild?
Was sagt eine erkältete Henne zum Osterhasen?
„Ich glaube, ich brüte was aus!“
Ostereiersuche
Wo hat der Osterhase nur die ganzen Eier versteckt! Hilfst du Stefan suchen?

Osterei aus Papier basteln
> festes Papier/farbig o. gemustert > Schere
> Blumendraht > kleine Holzperlen
> doppelseitiges Klebeband > Garn
> etwas dünnes Satinband > dicke Nadel
Schneide aus dem Papier je Ei 4 Streifen á 1,5 cm x ca. 20 cm. Steche mit der Nadel in allen Streifen genau mittig ein Loch. Klebe direkt an die Streifenenden, auf der schönen Seite des Papiers, über das Loch einen kleinen Streifen doppelseitiges Klebeband. Schneide ein ca. 10 cm langes Stück Blumendraht ab und ziehe ihn gerade und biege am Ende des Drahtes eine kleine Öse (Ø ca. 0,5 cm). Ziehe über die Öse eine kleine Holzperle auf. Nun fädelst du die Papierstreifen auf den Draht mit der schönen Seite zur Perle. Biege ein Ende des innersten Streifens nach oben und stecke den Draht durch das Loch. Ziehe die Folie vom doppelseitigen Klebeband. Biege die andere Seite des Streifens nach oben, fädle den Draht durch das dortige Loch und klebe die Streifenenden mit dem Klebeband zusammen. Ziehe wiederum das Klebeband des obersten Streifens ab. Forme das Ei mit der Hand vorsichtig in die richtige Silhouette. Schneide dann den Draht ca. 1,5 cm über dem oberen Eiende ab. Biege dieses Drahtende ebenfalls zu einer kleinen Öse. Knote an die untere Öse mit der Perle ein dünnes Satinband an und kürze es auf das gewünschte Maß. Fertig.
nächste Ausgabe erscheint am: 16.04.2026
Lieber Dominik
herzlichen Glückwunsch zum 30.Geburtstag am 9. April! Ab jetzt geht’s nicht mehr nur bergab, manchmal auch morgens etwas schwerer bergauf. Aber keine Sorge: Ein echter Extremskifahrer kennt keine Grenzen – im Winter jagst du die steilsten Hänge, im Sommer meisterst du die Kunst des Ausschlafens. Von Herzen alles Gute!


KLEINANZEIGER

30 Jahre Termotec - ein Grund zum Feiern!
Mit Mut und Entschlossenheit gründete unser Chef damals als junger Unternehmer die Firma. Bis heute arbeitet er täglich selbst auf der Baustelle mit und zeigt unermüdlichen Einsatz, sowie echte Wertschätzung für sein Team.
Danke für alles - wir sind stolz, Teil dieses Teams zu sein!
Deine Mitarbeiter

Tel. 0474 550 830
E-Mail: info@pz-media.it Rubrik: Kleinanzeiger www.pz-media.it

GENERVT VON SCHLECHTER BERATUNG?
AUTO & ZUBEHÖR FREIZEIT
Ihr Bodenschleifer
Schleifen, Ölen oder Lackieren von Holzböden sowie Grundreinigung von geölten Holzböden
Tel. +39 392 6711700 - Bruneck

Tel. +39 335 764 5000 www.mycamper.bz
Komm zu uns!

- Alle Modelle - BaujahrePreisklassen
- Auch Fahrzeuge mit hohen Kilometerstand, sowie Unfall-, Getriebe-, oder Motorschaden Wir suchen Gebrauchtwagen
Autonita - Bruneck - Pustertal

Autonita
d. Nuka Dardan Fabrikstraße 2 (gegenüber
Karosserie Leitner) | Bruneck Tel.: +39 347 732 49 95 nuka.autonita@outlook.it
Oberpustertal: Lebensfrohe 60-Jährige sucht nette Frau zwischen 55/65 Jahren für Spaziergänge, unterhaltsame Gespräche oder einen gemütlichen Kaffee. Freue mich auf unkomplizierte, ehrliche Begegnungen (keine Männer bitte).
Tel. 328 6030920
Ein Herr aus Welsberg sucht eine Dame für gemeinsame Unternehmungen und die ihm ein wenig im Haushalt hilft.
Tel. 329 7363951.

E-Mail: boednschleiffn@gmail.com



www.zahnarzt-ungarn-heviz.de

www.zahnarzt-ungarn-heviz.de
• seit über 15 Jahren erfolgreich in Südtirol
• seit über 15 Jahren erfolgreich in Südtirol
•seit 20 Jahren erfolgreich in Südtirol
•ganzjährig geöffnete Partnerpraxis für Vorund Nachbehandlungen in VINTL
• ganzjährig geöffnete Partnerpraxis für Vor- und Nachbehandlungen in VINTL
• ganzjährig geöffnete Partnerpraxis für Vor- und Nachbehandlungen in VINTL
• eine der größten Kliniken Ungarns mit 45-jähriger Erfahrung
•Ungarns größte Zahnklinik mit 45-jähriger Erfahrung
• eine der größten Kliniken Ungarns mit 45-jähriger Erfahrung
•bestens ausgestattete Räumlichkeiten und 21 hochqualifizierte Zahnärzte
• bestens ausgestattete Räumlichkeiten und 21 hochquali zierte Zahnärzte
• bestens ausgestattete Räumlichkeiten und 21 hochquali zierte Zahnärzte
• Top-Qualität und beste Behandlungsmöglichkeiten für Angstpatienten auch im Dämmerschlaf
•Top-Qualität und beste Behandlungsmöglichkeiten für Angstpatienten auch im Dämmerschlaf
• Top-Qualität und beste Behandlungsmöglichkeiten für Angstpatienten auch im Dämmerschlaf
•wöchentlicher Transfer im Dental-Taxi
• wöchentlicher Transfer im Dental-Taxi
• wöchentlicher Transfer im Dental-Taxi
• Professionalität und Herzlichkeit sprechen für uns
•Professionalität und Herzlichkeit sprechen für uns
• Professionalität und Herzlichkeit sprechen für uns

339 10 70 714
Deine Mama und Lisa
IHR VORTEIL
IHR BEITRAG IHRE ZEITUNG

BEITRAGS-FORM
(Südtirol)
Gönner (Südtirol) 30 Euro 50 Euro 6 WA für 1 Jahr 12 WA für 2 Jahre
Für das Italien-Abo und Auslands-Abo wenden Sie sich bitte an das Sekretariat unter Tel. 0474 550830 oder via E-Mail: info@pz-media.it
RAIKA BRUNECK: IBAN IT81 V080 3558 2420 0030 0004 081

Wir kommen nach BrixenEröffnung am 30.05.2026!
Wir suchen Bar- und Thekenmitarbeiter:in 4-Tage-Woche, Mitarbeiterrabatte, leistungsgerechte Entlohnung
Du liebst und lebst gesunde, nachhaltige Lebensmittel?
Dann bewirb dich jetzt: raphaela@purnamh.com
Wir suchen dich als unsere neue Verwaltungskraft
IN VOLL- ODER TEILZEIT ( M / W / D ) FÜR DIE ABTEILUNG HOLZBAU
Du bist Assistent der Abteilungsleitung
Holzbau und unterstützt unsere Projektleiter, hast ein Gespür für Abläufe und sorgst dafür, dass im Hintergrund alles reibungslos funktioniert.
Schneiderei AHMAD
AUCH LEDERJACKEN NACH MAß
Oberragen 9, 39031 Bruneck Tel: 388 6235037 • 349 6173847
ALLES MÖGLICHE
St. Georgen: 1x eine 3-reihige Steyrische Harmonika (Ideal für Anfänger) an Selbstabholer zu verkaufen. Anrufe ab 12 Uhr erbeten. Tel. 0474 550684 Entrümpelungs-und Umzugsservice im Pustertal: Seeber Andreas. Tel. 349 6648312 oder seeber.andreas74@gmail.com Verkaufe trockenes Herdund Kachelofenholz. Länge: 20/30/40 cm. Fichte und Hartholz und auch 90 Stück Zaunsäulen. Zustellung Tauferer Ahrntal und Brunecker Umgebung möglich. Mehr Infos unter Tel. 376 0292733.
Kaufe alte Truhen, Kästen und antike Hinterlassenschaften Tel. 328 4555755 Trockenes, gespaltenes Brennholz zu verkaufen. Tel. 346 4703519
Wunderschöne Schweizer Kuhglocke mit handbesticktem Lederriemen und einzigartigen eingemeißelten Verzierungen auf der Glocke. Für Sammler oder Liebhaber ein besonderes Unikat. Tel. 333 1558007
FREUNDSCHAFT & LIEBE


Partnervermittlung
Herzblatt
Tanja Raffl
Infogespräche auch in Brixen
M: 335 1244186 info@herzblatt.it www.herzblatt.it
STELLENMARKT
Stellensuche
Eine ortsansässige Frau, ehrlich, verlässlich und fleißig, sucht Arbeit als Badante für eine pflegebedürftige Person ab 15. April für 5/6 Stunden am Vormittag nach Vereinbarung. Tel. 320 6456630
Frühaufsteher mit Herz gesucht!
Für unsere Pension in Mühlen in Taufers suchen wir eine nette Frühstücksbedienung (m/w/d).
Du hast ein Lächeln für unsere Gäste und Lust auf ein familiäres Umfeld?
5-6 Tage die Woche (nach Vereinbarung)
Dann melde dich doch bei uns, wir freuen uns auf dich! info@haustirol.eu oder T. 335 242 086


Bring deine Ideen ein und sieh jeden Tag, was daraus entsteht.
jungen Mitarbeiter
MELDE DICH! www.unionbau.it/jobs jobs@unionbau.it / T 0474 677 811
für die Bedienung unserer neuen 5-Achs-CNC-Steinbearbeitungsmaschine sowie Mitarbeiter für Produktion und Montage
Melde dich bei Martin Fuchsbrugger Tel. 335 5935000 oder per E-Mail info@fuchsbrugger.com
Eine Frau sucht ab sofort eine Arbeit als badanate (auch stundenweise) und ist auch am Wochenende buchbar.
Tel. 320 3347574
Stellenangebot
Tüchtige ortsansässige Haushaltshilfe für älteres Ehepaar 2x4 Stunden am Vormittag dringend gesucht. Tel. 0474 554478 (Anrufe ab 16 Uhr erbeten)

Brandschutz und Sicherheit sind dir ein Anliegen?
Fireservice sucht in Vollzeit: WARTUNGSTECHNIKER:IN
Gesetzlich vorgeschriebene Wartungen von Feuerlöschern, Hydranten und Brandschutztüren im Außendienst.
Melde dich: T. +39 348 3319313

Wir suchen für die Sommersaison (April–November) (m/w/d) eine Kosmetikerin/Masseurin und einen II Koch Wir freuen uns auf Ihren Anruf. Tel. 0474 678113
Werde Teil von Eurospin!
Neuer Job? Ganz nah!
Eurospin Welsberg, Toblach, Sand in Taufers und St. Johann stellen ein. Ob Vollzeit, Teilzeit oder als Nebenjob. Flexibel arbeiten, fair verdienen, starkes Team, attraktiver Nebenjob. Werde jetzt Teil unseres Teams! Dich erwarten eine gute Entlohnung, 2 Monate gratis Einkaufen, ein vergünstigtes Mittagessen in unseren Mein Bistro Filialen und über 200 Benefits.
Bewirb dich jetzt!
personal@anjoka.it 0474 529 580




Ein Teil von Conad werden
Familiär, regional, zuverlässig. Conad Pfalzen, Olang und St. Lorenzen suchen Verstärkung! Ob Verkauf oder Aushilfe – bei uns kannst du flexibel arbeiten, fair verdienen und Teil eines starken Teams werden. Sichere dir jetzt einen attraktiven Nebenjob und werde Teil unseres Teams! Dich erwarten eine gute Entlohnung, ein vergünstigtes Mittagessen in unseren Mein Bistro Filialen, 2 Monate gratis Einkaufen und über 200 Benefits
Bewirb dich jetzt!
personal@anjoka.it 0474 529 580

Lust auf einen Job, der wirklich etwas bewegt?
Der Gesundheitsbezirk Bruneck sucht Verstärkung im Team der Verwaltungssachbearbeiter (m/w/d) in der 6. Funktionsebene.
Papierkram? Ja, aber mit Sinn! Werde das Herzstück unserer Verwaltung.
Du behältst den Überblick, wenn es wuselig wird? Du jonglierst gerne mit Zahlen, Daten und Fakten, willst aber gleichzeitig Teil von etwas Großem sein? Dann komm zu uns in den Gesundheitsbezirk Bruneck!
Das bringst du mit:
Dein Ticket: Ein Abschlusszeugnis einer Oberschule (Sekundarschule 2. Grades). Deine Superkraft: Den Zweisprachigkeitsnachweis B2 (ex Niveau B).
Warum wir? Sicherer Arbeitsplatz, ein motiviertes Team und die Gewissheit, dass deine Arbeit direkt der Gesundheit unserer Gemeinschaft zugutekommt.
Wann geht’s los? Wir sind flexibel! Du kannst dein Ansuchen laufend bei uns einreichen. Unsere nächsten großen Auswahltermine sind am: 31. Mai 2026
30. September 2026
Interesse geweckt? Dann schick uns deine Unterlagen!
Alle Infos findest du auf unserer Website https://sabes.onboard.org/jobs oder direkt im Amt für Anstellungen Tel. 0474-586048
E-Mail anstellungen-assunzioni.bk@sabes.it.
Wir freuen uns auf dich!
Die Residence Villa Calluna in Sand in Taufers sucht Verstärkung!
Für unsere Ferienwohnungen suchen wir eine Reinigungskraft in Vollzeit oder Teilzeit
Du arbeitest sorgfältig und schaffst gerne ein Wohlfühlambiente für unsere Gäste?
Dann melde dich bei uns: Tel. 0474 678038
E-Mail: info@villacalluna.com
Wir freuen uns auf deine Bewerbung!
WIR
SUCHEN
Fachverkäufer Bike (w/m/d)
SPORTLER Brunico
Info und Bewerbungen: sportler.com/de/lp/jobs
Für unser Büro in Bruneck suchen wir eine:n Zukunft gestalten. Viel beWIRken.

WEITERBILDUNGSKURSE am Berufsbildungszentrum Bruneck
Deine Aufgaben:
• Erstellung von monatlichen Lohnabrechnungen und den dazugehörigen Meldungen
• Beratung und Betreuung unserer Kund:innen im Gastgewerbe
• Hilfestellung bei arbeits- und sozialrechtlichen Fragen
Bei uns sind auch Auszubildende willkommen.

kumulierbare Essensgutscheine

Lohnsachbearbeiter:in Interessiert? Dann kontaktiere uns.

Gleitzeit
verkürzte Arbeitszeit im Sommer sanitäre Zusatzversicherung
• Drehen auf konventionellen Werkzeugmaschinen Wer? Christoph Reden Wann? 11.04.26 und 18.04.26
• Autodesk Fusion Basics: Einstieg in die 3D-Konstruktion Wer? Thomas Kirchler Wann? 13.04. - 30.04.26
• Sicherheitskurs für Baukranführer –Auffrischung Wer? Pronorm Wann? 15.04.26
• Farb-, Typ- und Imageberatung Wer? Dorothea Taferner Wann? 24.04.26
• Überzeugende Kommunikation im Büro Wer? Luise Vieider Wann? 13.05.26
• CANVA - Grafikdesign für Flyer, Präsentationen und Social Media Wer? Christine Hilber Wann? 16.05.26
ANMELDUNGEN:


Tel. 0474 57 34 11, Fax 0474 57 34 99 www.weiterbildung-bruneck.org
Mietsuche
Ein Herr sucht eine kleine Wohnung oder Monolokal zu moderatem Preis in Bruneck zu mieten. Tel. 379 3534017
Eine Frau mit erwachsender Tochter sucht dringend eine Wohnung im Raum Bruneck und Umgebung zu mieten. Gerne mit Keller und Garage oder Autostellplatz. Tel. 349 0633287
Eine Frau sucht eine kleine Wohnung in Bruneck/Umgebung zu mieten. Tel. 320 3347574
Mietangebote
Vermiete ab sofort sanierte, sonnige, Dreizimmerwohnung mit Keller, Garagenstellplatz in ruhiger Lage in St. Lorenzen (Dorf). Ideal für Paar, WG, Einzelperson, ggf. kleine Familie. Tel. 349 2254029
Immobiliensuche

Unsere Neubauprojekte ...

GRÜNFELD Penthousewohnungen mit exklusiven Terrassen






IMMOBILIEN NIEDERKOFLER





Wir suchen/kaufen: Baugründe - Häuser - Wohnungen - Höfe - Landwirtschaftliche Gründe
Dr. Lukas Pörnbacher +39 342 5116923 lukas@immobil-niederkofler.it
Malerarbeiten, Boden- & Fliesenlegen, Trockenbau, Maurerarbeiten, Bad-Sanierungen, Außenarbeiten und mehr... Zuverlässig - Fachgerecht - Saubere Arbeit
Renova Bau | Tel: +39 380 5922977

Toblach: Exklusiv: freies Reihenhaus in Toplage! EK E
Sexten: Wohnungen mit auslaufender Konventionierung, EK B, ab 375.000 € Sie möchten Ihre Immobilie verkaufen? Rufen Sie uns unverbindlich an für eine kostenlose Werteinschätzung!


Bruneck: Dachgeschosswohnung in ruhiger Lage
ca 70 m², Wohnzimmer, Wohnküche, 1 Schlafzimmer Bad WC Keller sanierungsbedürftig E K G
Tel. 348 5182231 info@pescosta-boden.it
BACHER METALLBAU
Sand in Taufers - 0474 678313 bachermetallbau@gmail.com

AUTOMATISCHE FALTTÜREN, THERMISCH GETRENNTE EDELSTAHLFENSTER - IGLU SPEIKBODEN Automatische Schiebe- und Falttüren Ga-

2 1 280.000 €
Reischach: neu sanierte 2Zimmerwohnung zentrale Lage, 2 Stock, 44 m² Nettofl , Wohnraum/Küche 1 Schlafzimmer
Dusche/WC Westbalkon Keller nicht konventioniert, E K i A 1 1 AUF ANFRAGE
www ausserhofer immo
Bruneck: 4-Zimmer Wohnung Nähe Schulzone im 2 Stock ca 75 m², Wohnzimmer, Wohnküche, 2 Schlafzimmer Bad Ostbalkon Keller Garage nicht konventioniert E K C 2 1 380 000 €
Pfalzen: Lager- und Büroflächen zu vermieten moderne Büroflächen, ab ca 200 m² sowie ebenerdige Lagerflächen, ab ca 400 m² gute Verkehrsanbindung ab sofort verfügbar AUF ANFRAGE
info@ausserhofer immo +39 0474 554666







Dr. Christine Reichegger +39 346 3007300 christine.r@immobil-niederkofler.it


AUR1595: Neu gedacht, bereit zum Einziehen. Komplett erneuerte Vierzimmerwohnung im ersten Obergeschoss in schöner Lage: heller Wohnraum mit Küche, drei Schlafzimmer, Abstellraum und zwei Tageslichtbäder. Die großzügige Terrasse lädt zum Entspannen im Freien ein. Keller und zwei Außenstellplätze inklusive. Energieklasse A2 = 33,91 kWh/m²a 565.000 € + Mehrwertsteuer

Vierzimmerwohnung . Bruneck
Sand in Taufers


TURNUSAPOTHEKEN
Der Dienstwechsel der Apotheken findet jeweils am Freitag um 19 Uhr statt.
Die unten angegebenen Öffnungszeiten beziehen sich auf Werktage. Am Sonntag gelten folgende Öffnungszeiten: 9 - 12 Uhr und 16 - 19 Uhr.
Der Notdienst gilt außerhalb der Öffnungszeiten für dringende Fälle und erfordert die Vorlage eines ärztlichen Rezeptes.
03. – 10. 04. 2026
Apotheke St. BarbaraSt. Georgen Öffnungszeiten 08:30 - 12:30 / 15:00 - 19:00 Uhr
Tel. Erreichbarkeit: 00:0023:59 Uhr, Tel. 0474 551400
Apoteca Alta Badia - Abtei Öffnungszeiten 09:00 - 12:00 / 15:30 - 18:30 Uhr
Tel. Erreichbarkeit: 00:00 - 23:59 Uhr, Tel. 0471 847152
Apotheke Toblach - Toblach Öffnungszeiten 08:10 - 12:15 / 15:30 - 19:00 Uhr
Tel. Erreichbarkeit: 00:00 - 23:59 Uhr, Tel. 0474 972165
10. – 17. 04. 2026
Apotheke SebatumSt. Lorenzen
Öffnungszeiten 08:30 - 12:30 / 15:00 - 19:00 Uhr
Tel. Erreichbarkeit: 00:0018:59 Uhr, Tel. 0474 476068
Apotheke Pütia - St. Martin in Thurn, Öffnungszeiten: 08:00 - 12:00 / 15:00 - 19:00 Uhr
Tel. Erreichbarkeit: 00:0023:59 Uhr, Tel. 0474 523020
Schlossapotheke - Welsberg Öffnungszeiten: 08:30 - 12:00 / 15:00 - 19:00 Uhr
Tel. Erreichbarkeit: 00:0023.59 Uhr, Tel. 331 9116797
VERANSTALTUNGEN UND KURSE
ohne Gewähr
Bruneck / Reischach
Winter-Bauernmarkt
Jeden Freitag von 08.00-12.30 Uhr auf dem Rathausplatz. Wochenmarkt
Jeden Mittwoch von 8.00 bis 14.00 Uhr auf dem Rathausplatz
Digitalisierung in Tourismus und Hotellerie
Am Montag 20.04.2026, um 20.00 Uhr im Raiffeisen Forum Bruneck, Europastraße 19, 4. Stock
Gottesdienst der CGS Bruneck
Am Sonntag, 26.04.2026 um 10.00 Uhr im Haus der Vereine. Infos: www.christengemeinden.it
Danke Mama – drei besondere Geschenkideen
Am Samstag 25.4.2026, von 14.00 bis 18.00 Uhr in der Ahraue 12A mit den drei Referentinnen: Marion Griessmair, Brigitte Schaller, Andrea Thomaser. Disco on Ice - Arena Bruneck
Am Samstag, 04.04.2026, ab 14.00 -16.30 Uhr in der Intercable Arena
St. Lorenzen
Flohmarkt
Am Samstag 11.04.2026 im Dorfzentrum
Mühlwald
Vortrag: Erben und Vererben will gelernt sein
Am Mittwoch, 15.04.2026, um 20.00 Uhr im Vereinshaus. Mit der Referentin: Marion Di Gallo Oberhollenzer.
T. 0474 550 830 • info@pz-media.it
Pfalzen
Ostermarkt in Pfalzen
Am Samstag, 04.04.2026, ab 08.00 Uhr beim Musikpavillon
Kiens
HappyMarkt - Flohmarkt
Am Sonntag, 12.04.2026 von 9.00 -14.00 Uhr beim Happy Snack Grill - Parkplatz
Sand in Taufers
Osterkonzert in Sand in T.
Am Sonntag 05.04.2026 ab 20.00 Uhr beim Festpavillon
Ahrntal
Osterkonzert der MK St. Johann
Am Dienstag 06.04.2026 ab 20.00 Uhr im Mehrzwecksaalin Luttach
Entenrennen für den guten Zweck
Am Mittwoch 08.04.2026 von 15.30 - 16.30 Uhr an der Talstation Skiarena Klausberg in Steinhaus
Aktion „Sauberes Dorf“
Am Samstag 11.04.2026 ab 13.30 Uhr im Gemeindegebiet. Infos: www.ahrntal.eu
Krokusfest in Kasern
Am Sonntag, 12.04.2026 ab 13.00 Uhr bei der Jägerhütte
Niederdorf
Lesung: Oma Hase rettet Ostern - Eine Südtiroler Ostergeschichte
Am Donnerstag, 02.04.2026, um 16.15 Uhr in der Bibliothek Niederdorf. Für Eltern mit Kindern von 3 bis 8 Jahren.
Rubrik: Veranstaltungen
Traditionelles Preisguffen
Am Sonntag 05.04.2026 ab 9.30 - 13.30 Uhr am Von Kurz Platz
Markt in Niederdorf
Am Samstag, 04.04.2026 von 8.00 - 14.00 Uhr am Von Kurz Platz
Rasen - Antholz
Hasensuche am Fischerteich
Am Samstag, 04.04.2026 von 13.00 -14.30 Uhr am Fischerteich Anmeldung innerhalb 02.04.: Sylvia T. 342 5354354
Osterkonzert der MK Oberrasen
Am Sonntag 05.04.2026 ab 20.00 Uhr im Kulturhaus Oberrasen
Nostalgieball - „Angezogen wie früher, feiern wie heute“
Am Samstag 11.04.2026 ab 18.00 Uhr im Kulturhaus Oberrasen
aktion.saubo rasen
Am Samsatg 18.04.2026 von 9.00-13.00 Uhr mit Treffen bei der Feuerwehrhalle Niederrasen & Oberrasen
Toblach
Wochenmarkt in Toblach
Am Dienstag 07.04.2026 von 8.00 - 14.00 Uhr im Dorfzentrum Innichen
Monatsmarkt in Innichen
Am Dienstag 07.04.2026 von 8.00 - 14.00 Uhr am Pflegplatz/ Alter Markt
Frühjahrskonzert der MK Vierschach
Am Sonntag 05.04.2026 ab 20.00 Uhr im Josef Resch Haus
LÖSUNGEN: SUDOKU, KREUZWORT- UND KINDERRÄTSEL
Ostereiersuche
www.provinz.bz.it/gesundheit-leben/ gesundheit/turnusapotheken.asp
Fröhliche Ostern! Das Zwillingsabbild ist die Nummer 4.)


Kleiderkammer
Bruneck
Offener Kleiderschrank - der Pfarr-Caritas im Gedi Center, Rienzfeldstr. 30A: Öffnungszeiten: Mittwoch von 14.00 - 17.00 Uhr, Donnerstag von 9.00 - 11.00 Uhr und jeden letzten Samstag im Monat von 9.30 - 17.00 Uhr
Kleiderkammer vom Vinzenzverein Bruneck Öffnungszeiten: jeden 1. und 3. Donnerstag im Monat von 14.30 bis 16.30 Uhr in der Mühlgasse 2
Toblach
Kleiderkammer der Vinzenzvereinigung Toblach Öffnungszeiten: jeden 1. und 2. Samstag im Monat von 9:00 bis 11:00 Uhr und jeden 3. Dienstag von 15:00 bis 17:00 Uhr im Bahnhofsgebäude von Toblach.
Recyclinghof
Gemeinde Bruneck
Öffnungszeiten:
Dienstag u. Donnerstag: 07.15 - 12.15 Uhr & 13.4517.30 Uhr, Mittwoch u. Samstag: 07.15 - 12.15 Uhr
Selbsthilfegruppen
Bruneck
Parkinson Selbsthilfegruppe
Pustertal:
> Bewegung mit Musik in der Gruppe (Musiktherapie)
Das nächste Treffen: Mittwoch, 25.03.2026 von 10-11 Uhr mit Annemarie im „Haus der Vereine“ (Ex-Bocciahalle).
> Dance Wall mit Sonja
Die nächsten Treffen: Freitag, 17.04.2026 von 10-11 Uhr im „Haus der Vereine“ (Ex-Bocciahalle).
Nähere Auskünfte unter: Tel. 0474 410832 oder Tel. 328 1473035
HOLZBÖDEN SCHLEIFEN
HOLZBÖDEN SCHLEIFEN
• lackieren • ölen • wachsen Bodenleger
• lackieren • ölen • wachsen Bodenleger
Fußboden - Fachbetrieb
Fußboden - Fachbetrieb
Fa. Priller Oskar - prilleroskar@gmail.com
Fa. Priller Oskar - prilleroskar@gmail.com
TEL. 348 2321852
TEL. 348 2321852
Selbsthilfegruppe Fibromyalgie Pustertal
Am 2. Freitag des Monats im Krankenhaus Bruneck um 18 Uhr (beim Portier). Bitte um Voranmeldung beim Gruppenleiter
Andreas Lang Tel: 379 1280532
Nächster Termin: 10.04.2026
Selbsthilfegruppe bei Depression & Angststörungen
Bruneck: Montag, 17.00 Uhr 14-tägliche Treffen.
Wichtig: Anmeldung beim Verein LICHTUNG; Tel: 333 4686220 oder info@lichtung-girasole.com
Teilnahme nur möglich nach Erstgespräch mit der Gruppenleiterin. Angehörige & Freunde von Alkoholikern
Kontakt Südtirol: 0474 944 469
Treffen: Bruneck (Seeböckhaus) am Dienstag, 15.00 Uhr und Brixen (Domgasse 2) jeden 2. + 4. Montag im Monat, 15.00 Uhr
Lebenshilfe
Südtiroler Krebshilfe
WIR SIND FÜR SIE DA!
Kapuzinerplatz 9 – 39031
Bruneck, Tel. 0474 551327
Montag: 13.00 – 17.00 Uhr, Dienstag, Mittwoch und Donnerstag: 8.30 – 12.00 Uhr
Gustav-Mahler-Straße 3b –39034 Toblach, Tel. 3351211392, Montag bis Mittwoch von 9.00 – 11.00 Uhr, Donnerstag von 9.00 – 11.00 Uhr und von 16.00 – 18.00 Uhr
Verein Frauen helfen Frauen
Paul-von-Sternbach-Str. 6, I-39031 - Bruneck (BZ), Tel. 0474 410 303, info@frauenhelfenfrauenbruneck.it www.frauenhelfenfrauenbruneck.it Öffnungszeiten: Montag - Freitag: 8.30 - 11.30 Uhr, Mittwoch: 15.00 - 17.00 Uhr oder nach Vereinbarung
Anonyme Alkoholiker
ALKOHOLPROBLEME?
E. K. in Ausarbeitung

SAND IN TAUFERS - DORFZENTRUM Charmante Zweizimmerwohnung
Zimmer 2 Handelsfläche 68 m2 Preis auf Anfrage

KIENS - DORFZENTRUM Vierzimmerwohnung mit Balkon und Terrasse
Zimmer 4 Handelsfläche 210 m2 Preis 695.000

PRAGS
Großes freistehendes Haus mit Traumaussicht
Zimmer 12 Handelsfläche 471,94 m2 Preis auf Anfrage
Es gibt eine Lösung. Nehmen Sie mit uns Kontakt auf! Tel. +39 334 8314515 sotirol@anonyme-alkoholiker.at www.anonyme-alkoholiker.at 0474 976261 | pustertal@castellanum.it www.castellanum.it
E. K. C
E. K. B
Verkauf und Verleih


z ustelldienst 2x täglich für i ndustrie, Handwerk, Gastgewerbe, p rivat!














Gasflaschen
Kerosin
Gas für Luftballone
Technische Gase
Gas- und Elektrogrills
Fritteusen und Kocher
Zustelldienst
Grillzubehör Pizzaöfen und Zubehör
Warmlufterzeuger
Wärmesonnen
Heizgeräte Techn. Artikel





