

![]()



Märkten

Montag – Samstag 08:00 – 19:00




















TITELTHEMA
Olympia: Zwischen Emotionen, Jubel und Geduldsproben 4
AKTUELLES
Im Familiengrab beigesetzt: Der letzte der vier „Puschtra Buibm“ 10
SOZIALES & GESUNDHEIT
KH Bruneck: Sanfter Strom hilft auch gegen Depression 14
Brunecker Frauen-Gespräche 2026: Frauen und Frieden 16
MENSCHEN IM PORTRÄT
Lukas Rastner: „Wenn der Schnee das Problem ist, ist das Gelände die Lösung“ 20
GESELLSCHAFT & MENSCHEN
Clemens Schwingshackl: Hohe Auszeichnung für exzellente Forschungsarbeit 24
Pustertaler Musikkapellen:
Blasmusik mit starkem Fundament und klaren Zielen 26
KULTUR & KUNST
Seiwalds überdimensionales Snow-Art 28
Stadttheater Bruneck: Theater, Musik und Kabarett im Frühjahr 30
Toblach: Musikalische Glücksfälle im Vorfrühling 32
BILDUNG & SCHULE
Maturatheater am Vinzentinum: Das ist die perfekte Welle 34
Musical „Peter Pan“: Junge Talente im musikalischen Höhenflug 35
Ein Schulprojekt mit Substanz und klaren Ergebnissen 36
WIRTSCHAFT & UMWELT
Innichen: Auf zur Ostereiersuche im Dorfzentrum 42
SPORT & FREIZEIT
Betreute der Werkstätten der Bezirksgemeinschaft:
Auf die Rodel, fertig, los! 44 Curling-Center in Bruneck als olympische Medaillenschmiede: Gold und Bronze für Team Canada 46
SONDERTHEMA
Gesundheit, Körperpflege und Ästhetik 49 SERVICE
Kreuzworträtsel
IMPRESSUM
Sitz, Redaktion und Verwaltung: Oberragen 18, 39031 Bruneck, Tel.: 0474 550 830, E-Mail: info@pz-media.it Egtr. Trib. BZ Nr. 23/89 v. 2.10.1989 Internet: www.pz-media.it; Einzelnr.: 1,00 Euro; Jahresabo: 25,00 Euro; Erscheinung: 14-täglich; Verantw. Direktor: Reinhard Weger (Chefred.); Sekretariat: Michaela Huber; Akquisition: Hans Paulmichl, Josef Tasser; Redaktion: dott. Reinhard Weger, MA; Dr. Willy Pöder; Dr. Judith Steinmair; Dr. Verena Duregger; Monika Gruber; Barbara Pöder; Dominik Faller; Alexander Dariz; Grafik: Andreas Rauchegger, Kerstin Voigt; Herausgeber: Pustertaler Medien GmbH - Oberragen 18, 39031 Bruneck, Im PT-Abo vert. ROC-Nummer: 2717, ISSN 2532-2567 Mitglied der USPI (Unione Stampa Periodica Italiana) Druck: Athesia Druck, Bozen – PEFC-zertifiziert: Dieses Produkt stammt aus nachhaltig bewirtschafteten Wäldern, Recycling und kontrollierten Quellen; PZ-WhatsApp Nummer: 371 7678970

Titelbild: Feuerwehrbezirk Oberpustertal, Thibaut-Nordic-Focus
PEFC/18-31-166
PEFC-zertifiziert
Ihre personenbezogenen Daten werden gemäß dem G.v.D. Nr. 196/2003, der EU-Verordnung 679/2016 (DSGVO) sowie dem G.v.D. Nr. 101/2018 verarbeitet. Die vollständige Aufklärung über die Verarbeitung Ihrer personenbezogener Daten und Ihre Rechte, wie z.B. das Recht auf Löschung, sind auf unserer Website veröffentlicht: www.pz-media.it/datenschutz.html . Falls Sie die Pustertaler Zeitung nicht mehr erhalten möchten, schreiben Sie uns dies einfach an folgende E-Mail Adresse: info@pz-media.it oder rufen Sie an: 0474 550830
DiesesProdukt stammtaus nachhaltig bewirtschafteten Wäldern,Recycling undkontrollierten Quellen
www.pefc.org
von Chefredakteur Reinhard Weger

Die Olympischen Winterspiele Mailand-Cortina 2026 waren für Südtirol und den gesamten Alpenraum ein außergewöhnliches Ereignis. Zwei Wochen lang stand der Wintersport im Mittelpunkt, begleitet von großer medialer Aufmerksamkeit und spürbarer Begeisterung. Sportlich konnte sich Italien mit 30 Medaillen im Spitzenfeld behaupten, zahlreiche Erfolge gingen dabei auch auf Athletinnen und Athleten aus Trentino-Südtirol zurück. Besonders die Bewerbe in Antholz wurden international wahrgenommen und überzeugten mit eindrucksvoller Kulisse und starker Publikumsstimmung. Die Para-Olympiaspiele werden noch weiterhin für Begeisterung sorgen.
Ein zentrales Element dieser Spiele war zweifellos das große Engagement der Ehrenamtlichen. Allein rund um Antholz standen täglich weit über tausend Helferinnen und Helfer im Einsatz. Mehr als tausend freiwillige Feuerwehrleute übernahmen darüber hinaus Aufgaben im Bereich Zivilschutz, Sicherheit, Verkehrsregelung, Brandschutz und Besucherbetreuung. Ohne diese gewachsene Struktur und die Erfahrung aus vielen Weltcup- und Großveranstaltungen wäre eine Durchführung in dieser Form kaum möglich gewesen. Der Einsatz erfolgte vielfach im Hintergrund, war für das Gelingen jedoch entscheidend.
Gleichzeitig blieben kritische Stimmen nicht aus. Die dezentrale Organisation der Wettkämpfe über mehrere Regionen hinweg wurde im Vorfeld als nachhaltiges Modell präsentiert. In der Praxis führte sie jedoch dazu, dass das klassische olympische Gemeinschaftsgefühl nur eingeschränkt spürbar war. Sportlerinnen und Sportler sowie Zuschauer erlebten die Spiele stärker standortbezogen als gemeinsames Gesamtereignis. Auch die Preisgestaltung sorgte für Diskussionen. Hohe Ticketpreise und steigende Unterkunftskosten wurden mehrfach thematisiert. In einzelnen Austragungsorten blieben Zuschauerränge teilweise hinter den Erwartungen zurück. Hinzu kamen Herausforderungen im Bereich Mobilität. Trotz umfangreicher Planungen führten das hohe Verkehrsaufkommen und individuelle Anreisen zu langen Staus und Wartezeiten auf den Hauptverkehrsachsen, insbesondere an stark frequentierten Wettkampftagen.
Insgesamt bleiben die Olympischen Spiele aber positiv in Erinnerung. Sportlich haben unsere Athletinnen und Athleten überzeugt und organisatorisch wurden große Anstrengungen unternommen. Alle haben angepackt und gezeigt, wie leistungsfähig unser Land sein kann, wenn viele Akteure gemeinsam an einem Ziel arbeiten. Zugleich wurde aber auch deutlich, dass Großveranstaltungen dieser Dimension stets auch Herausforderungen mit sich bringen, die sorgfältig analysiert und für zukünftige Ereignisse berücksichtigt werden müssen. Diese müssen bereits im Vorfeld thematisiert und ehrlich aufgezeigt werden. Dann funktioniert das auch für die Zukunft!
Ja, wir tun es erneut, wir widmen unser Titelthema den Olympischen Winterspielen, zum dritten Mal in kurzer Abfolge, ein Novum für uns, aber schließlich ist auch eine Olympiade vor der Haustür doch etwas Besonderes. Gute zwei Wochen im Zeichen des Wintersports, viel Begeisterung, aber auch so einiges an Kritiken, sei es während des Wettkampfzeitraums, sei es vorher, sei es in den verschiedenen Sportstätten über den italienischen Nordraum verteilt, sei es bei uns in Antholz. Wir haben mit einigen Beteiligten ein kurzes Resümee gezogen. von Judith Steinmair




Was war nicht alles diskutiert worden im Vorfeld dieser Olympischen Winterspiele, von wegen Dezentralisierung, Nachhaltigkeit, Mobilitätsherausforderungen, Investitionen usw. Sicher ist, das Olympiafieber hat uns dann doch schlussendlich gepackt. Wir haben die Wettkämpfe verfolgt, denn, wie immer, gab es spannende, jetzt schon legendäre, tra-
gische und unvergessliche Sport-Momente. Die Leistung der italienischen Sportlerinnen und Sportler bei dieser Olympiade: Herausragend, beim Medaillenspiegel rangieren sie mit 30 Medaillen auf Platz vier, etwa ein Drittel davon hat die Region TrentinoSüdtirol geholt, und einige dieser Medaillen sind natürlich auch der Verdienst der großartigen Südtiroler Sportlerinnen und Sport-
ler. Mit Antholz und auch Cortina quasi ums Eck, haben auch gar einige Einheimische die Wettbewerbe hautnah miterleben können, und, so der Grundtenor, die Stimmung dort war durchwegs gut, die An- und Heimfahrt freilich zum Teil ein wenig mühsam, Großveranstaltungen lassen grüßen. Wie haben unmittelbar Involvierte die Spiele empfunden? Die PZ hat nachgefragt:

Die
PZ: Die bereits vierte Teilnahme bei Olympischen Winterspielen, immer mit einer Medaille belohnt, aber Hand aufs Herz: Die Teilnahme an diesen Spielen, zuhause, dort, wo man die ersten Biathlon-Schritte gemacht hat, vor Familie, Freunden etc. ist dann nochmals etwas ganz Besonderes, zumal es ja auch Ihre letzte Wettkampfperformance war, oder? Schöner kann ein Abschied nicht sein…
Dorothea Wierer: Ja klar, jetzt die vierte Olympiade zuhause mitmachen zu können, war natürlich schon speziell für mich, und es ist ja auch jedes Mal anders. In Sotschi/ Russland (2014) beispielsweise war ich ja noch ein Neuling, die folgenden Spiele 2018 in PyeongChang (Südkorea) und 2022 in Peking (China) waren dann kulturell sowieso völlig eine andere Dimension, und so gesehen war es Zuhause in Antholz für uns natürlich wirklich schön. Die Kulisse ist wunderbar, das Wetter hat auch mitgespielt, und man hatte schon das Gefühl, dass es allen gefallen hat. Für mich als Abschluss meiner Karriere hatte das natürlich noch mal ganz was Eigenes, es war alles sehr emotional inmitten der Familie, der Freunde und der Fans, die mich angefeuert haben, aber auch Trainer und Techniker von anderen Nationen mit so einem positiven Zuspruch –das war schon cool!

Nun wurden die Spiele, auch hierzulande, im Vorfeld ja vielfach auch kritisiert, von wegen Dezentralisierung, Investitionen, Verkehr usw. Stören einen Sportler/Sportlerin solche Diskussionen, oder macht man sich, über den Leistungsgedanken hinaus, schon auch Gedanken über die Olympischen Spiele allgemein und ihre Entwicklung?
Man muss sicherlich damit abfinden, dass es nun halt eine andere „Art“ von Winterspielen gibt, vermutlich auch künftig. Natürlich ist so eine Dezentralisierung ein wenig schade, da das Olympische Flair schon ein wenig abhandenkommt, weil man als Sportler/in mit der jeweiligen Disziplin alleine ist und von den anderen wenig mitbekommt. Das war sicherlich in Cortina, Livigno oder Mailand, wo mehrere verschiedene Sportarten angesiedelt waren, ein bisschen anders…
Ja, eben, nicht alle Wettkampfstätten sind offensichtlich gut angekommen, es wurden mangelnde Stimmung kritisiert, zu hohe Ticketpreise und somit fehlendes Publikum etc. In Antholz aber kein Thema, oder wie haben Sie mit Ihrer jahrelangen internationalen Erfahrung das Olympia-Feeling dort erlebt?
Ja, das mit den hohen Preisen mancherorts, nicht nur bzgl. Tickets, auch Hotelpreise


zum Beispiel, war meines Erachtens eine Fehlentscheidung aus der man vermutlich lernen wird und was dann wohl auch zum Teil leere Zuschauerränge zur Folge hatte. Bei uns im Biathlon war das zum Glück kein Problem. Unser Sport ist relativ beliebt, wir haben ein begeistertes und treues Publikum, Antholz hat den Ruf super organisiert zu sein mit guter Stimmung, mit Feiermöglichkeiten wie etwa im Zelt usw. Also alles gut! //

PZ: Ihre zweite Olympia-Teilnahme und mit dem 5. Platz beim Vierer-Bob beim letzten Wettkampftag eine herausragende Platzierung und eine knappe Kiste schlussendlich… Auf alle Fälle Spannung pur das Rennen auch für uns Zuschauer! Ihr Fazit: Enttäuscht oder zufrieden insgesamt mit Olympia?
Patrick Baumgartner: Im Großen und Ganzen sind wir ganz zufrieden, aber klar, das Ziel, auf das wir die letzten Jahre auch hingearbeitet haben, war natürlich eine Medaille und somit ist zunächst logisch eine Enttäuschung da. Aber wir wussten ja, dass

es schwierig wird, und wir haben ein gutes Rennen geliefert, freilich haben sich ein paar Fehler eingeschlichen und letztlich haben halt 25 Hundertstel auf die Medaille gefehlt… Aber insgesamt war es ein tolles Erlebnis bei Olympia zuhause dabei zu sein.
Nun waren die Meinungen über Olympia zum Teil ja durchwachsen, von Seiten der Zuschauer/innen aber auch von Sportler/innen was einzelne Wettkampfstätten betrifft von wegen zu wenig Stimmung, zu wenig Olympia-Feeling, zu hohe Preise usw. Was können Sie uns diesbezüglich über Cortina berichten? Wie haben Sie es als Teilnehmer dort empfunden? Gerade aus Südtiroler Sicht scheint uns der Eiskanal ja gelegen zu haben und der Zuspruch vor Ort schien auch zu passen, oder? Ja, Cortina war aus Südtiroler Sicht schon sehr erfolgreich, also wir Sportlerinnen und Sportler können zufrieden sein, und ja, auch von Seiten der Zuschauerinnen und Zuschauer und der internationalen Gäste in Cortina hat man die Begeisterung für Olympia und den Olympischen Spirit schon wahrgenommen. Die Tatsache, dass die Sportstätten verstreut waren, soll ja auch der Nachhaltigkeit dienen und es wird sicherlich auch künftig in diese Richtung gehen.
Wie geht‘s jetzt bei Ihnen weiter? Weiterhin auf Medaillenjagd, und dürfen wir hoffen, Sie nicht das letzte Mal bei Winterspielen gesehen zu haben? Ich hoffe doch, dass ich noch ein paar gute


Jahre vor mir habe und auf diesem Niveau weitermachen und natürlich auch an den nächsten Winterspielen teilnehmen kann. Aber jetzt heißt es erst mal runterkommen, dann werden die neuen Ziele gesteckt und klar, eines wird sein, bei der nächsten Olympiade eine Medaille zu holen.
Und ist so eine Olympiade nicht auch eine Motivation für den Nachwuchs? Auf alle Fälle! Gerade im Bobsport habe ich auch gemerkt, dass unser Wintersport wieder vermehrt reizvoll ist und dass bei den Jungen wieder ein wenig Schwung reinkommt. Eine Olympiade hautnah miterleben zu können ist da sicherlich auch eine gute Motivation. //



Bürgermeister Thomas Schuster (Mitte) ist mit dem Verlauf zufrieden. Das Wetter bot alles, was ein echter Winter - zu Olympia - bieten sollte...
PZ: Ist nun auch bei Euch in der Gemeinde und bei Ihnen als Bürgermeister nun endlich wieder halbwegs Ruhe eingekehrt nach der Olympiade? Ein kurzes Fazit? Zufrieden? Alles so, wie es laufen sollte?
Thomas Schuster: Sehr zufrieden und dankbar, dass alles gut verlaufen ist. Ein schönes Erlebnis, vor allem nach vielen Wochen, Monaten, Jahren der Vorbereitung. Vor allem freut mich die großartige Teambildung der vielen Akteure, Organisationen, Behörden und Freiwilligen während der Veranstaltungstage, eine Zusammenarbeit über alle Grenzen hinweg, um gemeinsam die bestmöglichen Voraussetzungen für die Athleten, die Zuschauer und alle Beteiligten zu schaffen.
Einige Austragungsstätten hatten ja mit Kritik zu kämpfen, die Stimmung sei eher mau, zu wenig Zuschauer/innen weil hohe Ticketpreise o.ä. Bei Euch in Antholz diesbezüglich eigentlich kein Thema, oder wie sind Eure Erfahrungswerte/Rückmeldungen?
Trotz einiger Herausforderungen zählen die Biathlonwettkämpfe in Antholz sicherlich zu den erfolgreichsten Wettbewerben der Olympischen Winterspiele MailandCortina 2026, mit tollen Bildern und einer außergewöhnlichen Publikumsstimmung. Mir sind keine vergleichbaren Olympischen Biathlonwettbewerbe in den letzten Jahrzehnten bekannt. Die Kritik an den Ticketpreisen ist mit Beginn der Wettkämpfe abgeflacht.
Die einzigen negativen Schlagzeilen/ Posts betrafen dann doch die Mobilität, lange Wartezeiten bei der Hin- und
Abreise, Parkplatzsituation u.ä. Aufgrund der Masse war das vermutlich aber auch eine enorme Herausforderung für das Antholzertal, oder? Und: Schlussendlich doch gut über die Bühne gegangen oder hätte besser laufen können?
Im Vorfeld wurde oft die Frage gestellt, wodurch unterscheiden sich die Olympischen Biathlonwettbewerbe von einem Weltcup. Ein Teil der Antwort liegt im individuellen und zum Teil auch schwer steuerbaren Mobilitätsverhalten. Ca. 40% der Zuschauer haben die Biathlonwettbewerbe in Antholz zum ersten Mal erlebt. Die Einschränkungen in den verschiedenen Ortschaften von Rasen-Antholz waren trotz Zweifel kaum gegeben. Der hohe Pkw-Anteil der Zuschauer führte aber auf der Landesstraße nach Antholz und der Pustertaler Staatsstraße zu unausweichlichen Spitzen mit entsprechenden Wartezeiten bei der Hinreise und Abreise. Ein Vergleich mit der Biathlon-Weltmeisterschaft im Jahr 2020 mit fast identischen Zuschauerzahlen zeigt eindrücklich, dass durch den individuellen Ticketverkauf der Stiftung Mailand-Cortina 2026 und die dadurch fehlenden 120-150 Reisebusse der Agenturen/Tour Operator (ca. 5000 Zuschauer) das erprobte und funktionierende Mobilitätskonzept sehr gefordert war. Innerhalb dieser Rahmenbedingungen war die Zuverlässigkeit und Nutzung von Zug und Shuttleverbindungen nach einigen Startschwierigkeiten hervorragend.
Über 1.500 Mitwirkende täglich vor Ort, so in etwa die Zahlen, die diese großen Zuschauerzahlen von über 170.000 gestemmt haben, und alles in allem ein Erfolg und ein unvergessliches Erleb -

Bürgermeister Thomas Schuster
nis für viele, der Dank geht dann wahrscheinlich auch an alle, die sich dafür eingesetzt haben?
Danke an alle, die dabei waren und danke an alle, die die Olympischen Winterspiele mitgestaltet und ermöglicht haben. Der Dank richtet sich auch an alle, welche Einschränkungen akzeptiert und Verständnis aufgebracht haben. Der Blick auf die gelungenen olympischen Wettkampftage und die positiven Rückmeldungen sind auch eine kleine Anerkennung für die Mitarbeiter in der Gemeindeverwaltung und eine Bestätigung für das Biathlon-Komitee, welches im Hintergrund die organisatorische Hauptlast im Biathlonzentrum getragen hat. Der erstmalige Versuch von dezentralen Olympischen Winterspielen lebt von der Erkenntnis, dass nicht alles möglich ist, aber wer die Bereitschaft und den Willen hat, dem öffnen sich auch Perspektiven. //

PZ: Fakten und Zahlen rund um Olympia gibt es viele, eine davon betrifft beispielsweise die freiwilligen Einsatzund Sicherheitskräfte. Nur mal bei uns im Pustertal, wie viele Feuerwehrleute waren denn in diesen zehn Wettkampftagen rund um Antholz im Einsatz?
Peter Hellweger: Insgesamt waren 1.100 freiwillige Feuerwehrleute im Einsatz, kreuz und quer von überall her, die meisten kamen aber aus dem Ober- und Unterpustertal. Die Olympischen Winterspiele waren somit der größte Einsatz, den wir in der Geschichte des Südtiroler Feuerwehrwesens jemals hatten. Auch bei Weltcups ist der Dienst immer aufwändig, aber nicht in diesem Maße, da alles kompakter ist.
Den Besucherinnen und Besuchern einer solchen Großveranstaltung fällt es meistens gar nicht ins Auge solange alles reibungslos läuft, aber was gehört denn alles zum Aufgabenbereich dieser freiwilligen Helfer?
Grundsätzlich haben wir zwei verschiedene Bereiche abgedeckt. Zum einen den Brand-
schutzdienst direkt im Stadion, da waren stets 17 Leute dafür abgestellt, im Festzelt, in den unterirdischen Gängen, bei der Kontrolle der ganzen Elektronik usw. Die anderen Feuerwehrleute waren verteilt zwischen Antholz und Olang und haben Parkplatzdienst verrichtet, das heißt die Besucher/ innen einweisen, aber auch verschiedenste Informationen weitergeben, präventiv bei eisigen Wegen stehen u.ä. Darüber hinaus waren natürlich verschiedene Polizeikräfte im Einsatz mit anderen Aufgaben wie etwa Verkehr.
Wäre eine solche Großveranstaltung ohne die Mithilfe dieser freiwilligen Einsatzkräfte sicherheitstechnisch überhaupt zu stemmen?
Man darf schon ganz allgemein sagen, dass das Feuerwehrwesen bei uns in Südtirol bekanntlich überaus gut funktioniert. Wenn wir in diesem konkreten Fall als Freiwillige Feuerwehr nicht mit im Boot gewesen wären, dann wäre das Chaos vorprogrammiert gewesen. Unsere Leute bringen einfach jahrelange Erfahrung mit, was die Biathlonver-

PETER HELLWEGER: Bezirkspräsident der Oberpustertaler Feuerwehren und stellvertretender Landesfeuerwehr-Präsident, Koordinator der Feuerwehren vor Ort in Antholz In der Einsatzzentrale liefen alle Fäden zusammen. Diese wurde auch entsprechend ausgestattet.

Bezirkspräsident Peter Hellweger
anstaltungen in Antholz betreffen, wir kennen die Gegend und die Gegebenheiten, wir haben eine perfekte interne Kommunikation, mit anderen, außenstehenden Freiwilligen wäre das garantiert nicht alles so glatt gelaufen.
Ihr persönliches Fazit von Olympia bzw. wie ist die Rückmeldung von Seiten Ihrer Männer? War es nicht nur Pflicht, sondern auch ein Erlebnis? Was unseren Bereich betrifft kann ich nur sagen, dass alles hervorragend funktioniert hat, die Feuerwehren haben untereinander super zusammengearbeitet, und die Rückmeldung der Besucher/innen bezüglich unserer Dienste waren sehr positiv. Ich war selbst überrascht, wie viele sich auf Anhieb zum Dienst gemeldet haben, denn von den Wettkämpfen selbst bekommt man freilich im Dienst nichts mit, aber trotzdem: Das olympische Flair ist spürbar, und ein Teil davon zu sein, ist dann doch etwas besonders. Die Bereitschaft unserer ganzen Freiwilligen hat wohl einmal mehr bewiesen, dass das System bei uns im Land durchaus funktioniert und der Zusammenhalt gegeben ist! //
Im Herbst des Vorjahres haben die Abgeordnetenkammer und der Senat mehrheitlich eine Abänderung von acht Artikeln der Verfassung beschlossen, die eine Reform des Justizwesens beinhalten. Da die erforderliche 2/3-Mehrheit dabei nicht erreicht wurde, schreibt die Verfassung die Abhaltung eines sogenannten „bestätigenden“ Referendums vor, für dessen Gültigkeit eine Mehrheit der teilnehmenden Wähler (sogenanntes Quorum) nicht erforderlich ist: die Volksabstimmung ist daher rechtsgültigunabhängig von der Anzahl der Bürger die sich daran beteiligen. Wir bringen in der Folge die wichtigsten Punkte.
TRENNUNG ZWISCHEN RICHTERN UND STAATSANWÄLTEN
Hauptzielsetzung der Reform ist es, eine verfassungsrechtlich klare Trennung zwischen Richterschaft und Staatsanwaltschaft vorzunehmen und eine Entpolitisierung des Obersten Rates der Gerichtsbarkeit (Selbstverwaltungsgremium der Richterschaft) zu erreichen. Zur Information: in Italien sind ca. 7000 ordentliche Richter und ca. 2.000 Staatsanwälte tätig. Zum Vergleich: die Bundesrepublik Deutschland verfügt über 22.000 Richter und 6.500 Staatsanwälte, bestimmt ein Hauptgrund dafür, dass die Justiz dort schneller arbeiten kann.
Zusammengefasst wurden von den beiden Kammern des Parlaments folgende Maßnahmen beschlossen:
Oberster Rat der Staatsanwälte
a) die Verfassung sieht den Obersten Rat der Gerichtsbarkeit vor, zuständig für die Selbstverwaltung aller Richter und Staatsanwälte (Einstellungen, Zuteilungen, Versetzungen, Beförderungen und Disziplinarmaßnahmen).
Besagtes Gremium besteht aus 33 Mitgliedern unter dem Vorsitz des Präsidenten der Republik. Diese Mitglieder werden zu 2/3 von allen ordentlichen Richtern und zu 1/3 vom Parlament in gemeinsamer Sitzung aus den Reihen der ordentlichen Hochschulprofessoren für Rechtswissenschaften und der Rechtsanwälte mit mindestens 15jähriger Berufserfahrung gewählt.
b) Es wird nunmehr ein zweites Organ mit Verfassungsrang eingeführt, ebenfalls
unter dem Vorsitz des Staatspräsidenten (Oberster Rat der Staatsanwaltschaft) welches ausschließlich für Staatsanwälte zuständig ist. Damit soll die Trennung zwischen Staatsanwälten (zuständig für Untersuchungen und Anklageerhebung) und Richtern (zuständig für die Urteilsfindung) verstärkt werden.
DIE ERNENNUNG DURCH
LOSENTSCHEID
Die Ernennung der Mitglieder des Obersten Rates der Gerichtsbarkeit ist heute stark politisiert, da organisierte, den verschiedenen politischen Parteien nahestehende Richtungen (sog. Correnti) bestehen, welchen die einzelnen Kandidaten angehören. Dies soll in Zukunft dadurch unterbunden werden, dass die Wahlen beider Gremien durch ein System des Losentscheides ersetzt werden. Dazu wählen Kammer und Senat in gemeinsamer Sitzung geeignete Persönlichkeiten aus einem Verzeichnis von ordentlichen Universitätsprofessoren und Rechtsanwälten mit mindestens 15 Dienstjahren, aus denen ein Drittel der Mitglieder durch Losentscheid ausgewählt werden, während zwei Drittel der Mitglieder sowohl des Obersten Rates der Richter als auch des (neu geschaffenen) Obersten Rats der Staatsanwaltschaft unter allen Richtern respektive Staatsanwälten, ausgelost werden.
HOHES DISZIPLINARGERICHT
Schlussendlich soll durch die Reform ein eigenes Gremium, im Verfassungsrang zuständig für Disziplinarmaßnahmen zu Lasten von Richtern und Staatsanwälte eingeführt werden. (Alta Corte Disciplinare). Dieses Gremium soll aus 15 Richtern bestehen, drei davon ernannt vom Präsidenten der Republik, während die übrigen Mitglieder wieder durch Losentscheid ermittelt werden. Zwischen Befürwortern der Reform (in der Regel angehörig der Parlamentsmehrheit) und Gegnern derselben (in der Regel angehörig den Oppositionsparteien) ist eine Diskussion entbrannt, welche in diesem Ausmaß nicht gerechtfertigt erscheint.
DER STAATSANWALTSCHAFT
Insbesondere wird die Befürchtung geäußert, dass die Staatsanwaltschaft stärker

RA Dr. Dieter Schramm
in den Einfluss der Regierung gelangt, was aus dem Wortlaut des Reformgesetzes jedoch nicht abgeleitet werden kann. Die Richter und Staatsanwälte müssen laut Art. 104 der italienischen Verfassung sachlich unabhängig sein, es ist eines der grundlegenden Prinzipien unserer freiheitlichen demokratischen Grundordnung.
Nur am Rande sei erwähnt, dass dieser Grundsatz in anderen demokratischen Rechtssystemen keine Selbstverständlichkeit ist. Beispiel: sowohl in Österreich als auch in den deutschen Bundesländern genießen die Staatsanwaltschaften keine Unabhängigkeit, sondern unterliegen den Weisungen des Bundesministers für Justiz und sind somit ein verlängerter Arm der Exekutive.
VORTEILE FÜR DEN BÜRGER
Dem Bürger, der in einem Strafverfahren angeklagt ist, gelangt es zweifellos zum Vorteil, wenn das Gericht, welches über Verurteilung oder Freispruch zu entscheiden hat, klarer als bisher von jener Behörde (Staatsanwaltschaft) welche die Anklage führt, getrennt und von dieser unabhängig ist.
Zudem: das Selbstverwaltungsgremium der Richter und (in Zukunft auch) der Staatsanwälte gewinnt ohne Zweifel an Objektivität und Unabhängigkeit, wenn dessen Mitglieder mehrheitlich nicht mehr von den parteipolitisch beeinflussten und organisierten Richtungen (correnti) bestimmt werden, sondern, durch Los ermittelt werden.
DIE ABSCHLIESSENDE
WAHLEMPFEHLUNG
Aus den zuletzt angeführten Gründen kann aus unserer Sicht ohne Zweifel empfohlen werden, am 22. und 23. März 2026 in der Volksabstimmung zur Justizreform teilzunehmen und mit „Ja“ zu stimmen.
// RA Dr. Dieter Schramm

IM FAMILIENGRAB BEIGESETZT
Fahnenabordnungen der Schützen aus ganz Tirol und Bayern gaben Siegfried Steger das letzte
Am vergangenen
Samstag wurde Siegfried Steger (86), alias GollSiegfried, aus Mühlen in Taufers unter zahlreicher Beteiligung der Ortsbevölkerung und in Begleitung von schätzungsweise 1.000 Schützen sowie vier Dutzend Fahnenabordnungen aus Süd-, Nordund Osttirol zuerst von Mühlen aus zur Pfarrkirche nach Sand in Taufers geleitet, wo er nach der Totenmesse, zelebriert von den beiden Dekanen Franz Josef Campidell (Sand i.T.) und Josef Knapp (Bruneck), im Grab seiner Eltern zur letzten Ruhe gebettet wurde. Für die musikalische Begleitung sorgten die Musikkapelle und der Kirchenchor von Mühlen in Taufers. Unter den vielen Trauergästen konnten wir den Provinz- und Regionalrat Sven Knoll (STF) in kniefreier Lederhose und in Begleitung von Eva Klotz sowie

Letzte Fahrt des Letzten der vier „Puschtra Buibm“. Im Beisein einer großen Trauergemeinde wurde er beigesetzt. wpz
den Senator und SVP-Bezirksobmann Meinhard Durnwalder, aber auch Martha Stocker, eine altgediente Politikerin, ausmachen.
ZU LEBENSLANGER HAFT VERURTEILT
Siegfried Steger, einer der vier „Puschtra Buibm“, wurde in Italien im Zusammenhang mit den Sprengungen der Sechzigerjahre in Abwesenheit zu lebenslanger Haft verurteilt.
Er floh ins Ausland, weshalb sich der Staat seiner nie habhaft werden konnte. Auf der Flucht verschlug es Steger zunächst nach Bayern und hierauf nach Telfs in Tirol, wo er fortan und bis zu seinem Tode, am 21. Feber 2026, lebte. In seine Heimat zurück konnte er Zeit seines Lebens nicht mehr, da er sonst verhaftet und in den Tschumpus geworfen worden wäre. Er hätte zwar die Möglich-

keit gehabt, den Staatspräsidenten um Gnade zu bitten, die ihm nach so vielen Jahren tadelloser Lebensführung sehr wahrscheinlich auch gewährt worden wäre, doch Steger weigerte sich, einen derartigen Gnadenakt zu unterzeichnen.
AUFRECHTER TIROLER
Am Sarg des Verstorbenen sprach Harald Laner. Er sagte u. a., „nach dem II. Weltkrieg hat das demokratische Italien die faschistische Unterdrückungspolitik nahtlos mit dem Ziel übernommen, das südliche Tirol zu einer italienischen Provinz zu machen“. In dieser Zeit seien Steger und andere aufrechte Tiroler aufgestanden, um sich gegen das Unrecht auch mittels Waffengewalt zur Wehr zu setzen. Dies sei nicht aus jugendlichem Leichtsinn, sondern aus dem Gefühl tiefer Verantwortung gegenüber Land und Leuten geschehen. Es schien den „Puschtra Buibm“ das letzte Mittel zu sein, um die Welt auf die ungerechte Situation in Südtirol aufmerksam zu machen. Laner lieferte den Zuhörern auch

Mit dem Segen der Kirche den Weg zum Schöpfer angetreten.
einen kleinen Einblick in den Gemütszustand Stegers, aus dessen Munde er erfahren habe, wie sehr er darunter litt, fern der Heimat ohne die Hoffnung, jemals nach Südtirol und ins geliebte Mühlen zurückkehren zu dürfen, leben zu müssen. Der Grabredner dankte dem Verstorbenen abschließend für seinen unermüdlichen Einsatz für Tirol.



DER LETZTE GRUSS
Zum letzten Gruß läutete die große Glocke, die Musikkapelle spielte das Lied vom guten Kameraden; die Schützenkompanie Taufers im Pustertal schoss eine Ehrensalve; eine Handvoll Schützen stimmte das AndreasHofer-Lied an. Nach zweieinhalb Stunden verabschiedete sich die große Trauergemeinschaft vom Toten, indem die vielen Kirchgänger den Sarg mit Weihwasser besprengten, um hieraufstill oder leise sprechend - den musterhaft gestalteten und vorbildlich gepflegten Friedhof zu verlassen. // wp Die Fahne senkt sich zum letzten Gruß. Dabei spielte die

Die Beerdigung von Siegfried Steger war von einem erheblichen Auflauf an Menschen und Fahrzeugen geprägt. Die für den Ordnungsdienst abgestellten Männer der Feuerwehr gaben in ihrem Kompetenzbereich das Beste. In der Tat führten weder
die Zufahrt, das Einparken noch das Verlassen der ad hoc ausgewiesenen, zusätzlichen Parkareale zu unangenehmen Vorfällen. Was hingegen auf Unverständnis stieß, war die fehlende Präsenz von Polizisten zwecks Regelung des Verkehrs auf der Staatsstraße im betroffenen Abschnitt. So geschah es, dass ein Rettungsfahrzeug auf
der Fahrt nach Bruneck im Stau steckenblieb, sich zum Wenden auf der Straße und zur Rückfahrt bis nach Sand in Taufers gezwungen sah, um von dort aus dann über die Industriestraße dem Stau auszuweichen und die Fahrt nach Bruneck fortsetzen zu können. // wp


Dr. Med KARIN BOTCHEN
Fachärztin für physikalische und rehabilitative Medizin
St. Georgen, Ahraue 12b Tel. 0474 830 494 Mobil 346 621 68 84 info@botchen.it
Frau Dr. Botchen, was hat es mit dem Stress auf sich?
In unserer Welt ist Dauerstress für viele zum Normalzustand geworden. Dadurch kann es zu einer *autonomen Dysbalance* kommen. Das ist ein Ungleichgewicht zwischen dem Stressnerv (Sympathikus) und dem Entspannungsnerv (Vagusnerv). Man steht auf dem Gaspedal und die Bremse funktioniert nicht mehr richtig.

Welche Symptome sind dafür typisch?
Anzeichen wie Erschöpfung, Schlafstörungen, innere Unruhe, Nervosität, Reizdarm-Beschwerden und andere Verdauungsprobleme, Schwindel, Hörsturz, Konzentrationsstörungen, Gereiztheit, Blutdruckschwankungen, Herzstolpern sind Signale des Körpers, die auf
Ein Interview mit Dr. Carlo Sacchi
eine chronische Überlastung hinweisen können und die man ernst nehmen soll.
Gibt es da Abhilfe?
Bei der gestörten Balance zwischen Anspannung und Entspannung hilft am besten eine Kombination aus Atemtraining, Gedanken gehen lassen, Akupunktur und dem gezielten Aufbau des Vagusnervs. Hierfür gibt es spezielle Infusionen. Die funk-
Rückenschmerzen – wann harmlos, wann zum Arzt?
Dr. Carlo Sacchi ist Facharzt für Orthopädie und Traumatologie im Med Center Sexten sowie in seiner Praxis Orthosacchi in Bruneck. Im Gespräch erklärt er, warum Rückenschmerzen als Volksleiden gelten, welche Warnzeichen ernst zu nehmen sind – und warum selbst ein Bandscheibenvorfall meist ohne Operation ausheilt.
Herr Dr. Sacchi, sind wir eine Rückenschmerz-Gesellschaft?

Rückenschmerzen gehören zu den häufigsten Beschwerden überhaupt. Ich sehe zunehmend auch jüngere Menschen. Besonders betroffen sind die Altersgruppen zwischen 20 und 30 sowie zwischen 60 und 70 Jahren.
Wann sind Rückenschmerzen meist harmlos?
In den meisten Fällen handelt es sich um sogenannten „Low Back Pain“. Ursache sind Muskelverspannungen oder ein muskuläres Ungleichgewicht. Die Schmerzen bleiben auf den Rücken beschränkt
und bessern sich innerhalb einiger Wochen. Halten sie länger an, sollte man sie ärztlich abklären lassen.
Welche Symptome sollte man ernst nehmen?
Wenn Schmerzen in Beine oder Oberkörper ausstrahlen oder Taubheitsgefühle und Kraftverlust auftreten, muss man genauer hinschauen. Das kann auf eine Nervenreizung, etwa durch einen Bandscheibenvorfall, hinweisen. Auch bestimmte Vorerkrankungen sollten unbedingt erwähnt werden.
Wärme, Kälte, Bewegung oder Ruhe – was hilft?
Meist entspannt Wärme die Muskulatur. In der akuten Phase mit starken Schmerzen sind Schonung und eine gezielte Schmerztherapie sinnvoll. Sobald
tionieren wie ein Reset-Knopf für das Nervensystem. Wir reden von einer gezielten Mikronährstoff-Therapie über die Vene. Die Infusion enthält die Substanzen, die der Vagusnerv für seine Funktion benötigt. Die Wirkstoffe kommen direkt in die Blutbahn und stehen dem Körper sofort zu 100% zur Verfügung.
Welche Indikationen gibt es noch für die Vagus-Infusion?
Hierzu gehören wiederkehrende Infekte, Rückenschmerzen, Rheumatische Erkrankungen, Allergien und auch die erektile Dysfunktion.
Die Empfehlungen zur Anwendung sind 2 – 3 Sitzungen pro Woche über 3 – 5 Wochen, gerne auch in Kombination mit Akupunktur, um die Regeneration zu unterstützen.
diese Phase überwunden ist, wird Bewegung entscheidend: Physiotherapie und gezielte Übungen stabilisieren den Rücken langfristig.
Muss ein Bandscheibenvorfall operiert werden?
Nur selten. In rund 97 Prozent der Fälle kommen wir ohne Operation aus. Nach der Akutphase steht Physiotherapie im Mittelpunkt. Reicht das nicht, können gezielte Infiltrationen helfen. Voraussetzung ist eine genaue Abklärung mittels Magnetresonanztomographie (MRT). Die Infiltration erfolgt präzise im Bereich des betroffenen Nervs, um die Entzündung zu beruhigen und die Schmerzen zu lindern.
Wie kann man vorbeugen?
Regelmäßige Bewegung ist entscheidend. Empfohlen werden mindestens drei Einheiten pro Woche à 40 Minuten mit leicht erhöhtem Puls. Unser Rücken leidet weniger unter Belastung als unter Bewegungsmangel – besonders bei sitzender Tätigkeit.
Med Center Sexten
Dolomitenstraße 45/1 - Sexten
E-Mail: medcentersexten@gmail.com
Tel.: 0474 869 233 - 377 357 422
Orthosacchi
Stadtgasse 43 - Bruneck
E-Mail: medcentersexten@gmail.com
Tel.: 349 818 0024

Die transkranielle Gleichstromstimulation (tDCS), zur Therapie einer Depression, ist einfach durchführbar, schonend und wirkungsvoll. Viele Studien sprechen für ihre gute Wirksamkeit.
Das psychiatrische Day-Hospital des Krankenhauses Bruneck bietet die Behandlung seit fast einem Jahr erfolgreich an.
Für eine halbe Stunde lang werden Hirnzellen mit Gleichstrom über zwei Elektroden stimuliert. Studien haben aufgezeigt, dass bei depressiven Patienten das linke Stirnhirn (Frontallappen) unterstimuliert ist, während das rechte überstimuliert ist. tDCS schafft den Ausgleich. Bei Menschen mit Depressionen wird die rote Elektrode (Pluspol) auf der Stirn links platziert, während die schwarze Elektrode (Minuspol) auf der rechten Gegenseite angelegt wird. (Head-Set/Fig-1). Der schwache Gleichstrom, ca. 2 Milliampere, kann nun von links nach rechts durch das Stirnhirn fließen. Dabei werden Nervenzellen in der betroffenen Hirnregion aktiviert (depolarisiert) und die Balance zwischen linkem und rechtem Frontalhirn wiederhergestellt. Der Stromfluss verursacht ein leichtes Kribbelgefühl in der Kopfhaut, ansonsten treten keine nennenswerten Nebenwirkungen auf.
DIE URSPRÜNGE
Die Erstbeschreibung der Methode geht auf das Jahr 1880 zurück; bereits damals erkannte der deutsche Psychiater Wilhelm Tigges den therapeutischen Nutzen von tDCS bei Depressionen. Ein Behandlungszyklus erstreckt sich über 20 Sitzungen. Pro Tag wird eine Sitzung, die ca. 1 Stunde dauert durchgeführt (eine halbe Stunde Behandlung mit je einer Viertelstunde Vor- und Nachbereitung). Bei wiederholter Anwendung (20 Sit-

zungen) werden anhaltende therapeutische Effekte erzielt (pro Woche wird 5 Mal stimuliert / Mo. bis Fr. mit Pause über das Wochenende). Der Therapieerfolg stellt sich zumeist nach der 14. Sitzung ein.
Der Psychiatrische Dienst Bruneck bietet die Behandlung routinemäßig im psychiatrischen Day-Hospital des Krankenhauses Bruneck an. Verantwortlich für die sachgemäße Durchführung und Organisation der Therapien sind der stationsführende Facharzt. Dr. Macina Christian und die zuständige Pflegekoordinatorin Karolin Pichler und deren Mitarbeitenden (Cindy Mairamhof, Martina Theiner, Ilenia Miribung und Martin Niederkofler) (siehe Foto).

DIE THERAPIEERGEBNISSE
Wie bei allen Therapiemethoden wechseln sich positive und negative Therapieergebnisse ab. So wie auch Antidepressiva oder andere Methoden zur Behandlung einer Depression nicht immer helfen, wirkt auch tDCS nicht immer. Der Grund dafür ist, dass Menschen mit Depressionen keine einheitliche diagnostische Gruppe bilden. Sie unterscheiden sich bezüglich Ausprägung der Symptome, dem Krankheitsverlauf, den Ursachen (Auslöser) und individuellem Ansprechen auf die empfohlene Therapie. In nicht wenigen Fällen kommt es auch ohne Therapie zu spontanen Besserungen. Studienvergleiche zu Wirkungserfolgen sind daher oft schwierig. Sogenannte randomisierte doppelblind placebokontrollierte Studien konnten die Wirksamkeit von tDCS nachweisen, einmal mehr - einmal weniger. In Ländern mit fortschrittlichen Gesundheitssystemen, zu denen auch Südtirol zählt, kommt es zumeist zu einer negativen Selektion von Studienteilnehmern. Wer schon von einer etablierten Therapieoption profitiert, nimmt an Studien nicht mehr teil. Übrig bleiben daher zumeist schwere therapieresistente Patientinnen und Patienten.
GUTE ERFAHRUNGEN GEMACHT
Das psychiatrische Day Hospital (DH) im Krankenhaus Bruneck bietet tDCS täglich von Montag bis Freitag (9:00 Uhr bis 15:00 Uhr) an, sowie auch viele andere Therapiemethoden (siehe Kasten). Die Anmeldung erfolgt über den/die behandelnde/n Psychiaterin bzw. Psychiater des Zentrums für psychische Gesundheit (ZPG). Bruneck verfügt über zwei tDCS-Stimulatoren der österreichischen Vertretungsgruppe Sooma/Dengg/Medizintechnik, sodass bei Bedarf auch zwei Patienten gleichzeitig behandelt werden können. Bei Patienten mit implantierten Hirnelektroden, Cochlea-Implantaten, Herzschrittmachern u.a. darf tDCS nicht angewendet werden. Eine tDCSBehandlung wird immer von einem Arzt (Psychiater) indiziert.
Die bisherige Erfahrung mit tDCS im psychiatrischen Dienst Bruneck ist durchaus positiv und erfolgversprechend. Eine informative tDCS-Patientenbroschüre zum Mitnehmen liegt in der Ambulanz des ZPG auf. Die Behandlung wird von Betroffenen gerne angenommen, sei es aufgrund praktisch fehlender Nebenwirkungen und/oder alternativ zu einer medikamentösen Behandlung der Depression.
//
Prim. Dr. Markus Karl Huber - Psychiatrischer Dienst Bruneck
• Poststationäre Stabilisierung;
• Therapeutisch/psychologische Einzel- und Gruppentherapie;
• Ergo- und kreativtherapeutische Angebote (ErgoTH, KunstTH, MusikTH, Tanz-BewegungsTH, SchreibTH);
• Recovery-Gruppen mit Ex-Begleiter/-innen;
• Behandlung Essstörungen;
• Infusionstherapie (i.v.) je nach Indikationsstellung (Antidepressiva, etc.);
• Zypadhera zur i.m. Psychose-Behandlung;
• Lichttherapie zur Behandlung saisonaler Depression;
• Spravato-Behandlung zur Therapie therapieresistenter Depressionen;
• Transkranielle Gleichstromstimulation (tDCS) zur Therapie einer Depression;
• Elektrokonvulsionstherapie (EKT) zur Therapie einer therapieresistenten Depression;
Das Day Hospital (DH) für Psychiatrie im Krankenhaus Bruneck ist eine teilstationäre Einrichtung zur Patientenbetreuung während des Tages. Ein multidisziplinäres Team betreut Patientinnen und Patienten in subakuten Krankheitsphasen, um einer stationären Aufnahme vorzubeugen oder sie nach einer stationären Entlassung zu unterstützen. Der Aufenthalt im Day-Hospital ermöglicht diagnostische Abklärungen und Behandlungen. Eine individuell abgestimmte Tagesstrukturierung mit entsprechenden Therapieoptionen sind gewährleistet.
Die Zuweisung ins psychiatrische Day Hospital (DH) erfolgt über das Zentrum für psychische Gesundheit (ZPG) Bruneck oder direkt über das DH. Das DH befindet sich im Krankenhaus Bruneck Spitalstraße 11, Bau L, 1. Stock/ Tel: 0474-586330 und ist von Montag bis Freitag jeweils von 08:00 bis 16:00 Uhr geöffnet. //
ÄRZTESERVICE FÜR GÄSTE
Seit Jänner 2026 steht im Einzugsgebiet von Skirama ein organisierter Ärzteservice für Urlauber zur Verfügung. Das Pilotprojekt kommt gut an und kann bei leichten Blessuren eine rasche und unkomplizierte Betreuung ermöglichen, ohne die Notaufnahmen zusätzlich zu belasten. Gastwirte und Hoteliers sind aufgerufen, den Dienst auch den vielen Gästen bekannt zu machen. Sonst ist die gesamte Mühe für die sprichwörtliche Katz!
Der Wunsch nach einem strukturierten Ärzteservice bei kleineren Blessuren und leichten Erkrankungen wurde in den vergangenen Jahren vermehrt von Beherbergungsbetrieben geäußert. Immer wieder baten Gäste bei Beschwerden, die keine akute Notfallsituation darstellten, um einen Hausbesuch durch einen Arzt. Zwar stehen Rettungsdienst und Notaufnahmen jederzeit zur Verfügung, doch nicht in jedem Fall ist der Leidensdruck so groß, dass eine Behandlung im Krankenhaus notwendig oder gewünscht ist. Gleichzeitig möchten viele Urlauber bei gesundheitlichen Problemen nicht mehrere Stunden in einer Notaufnahme verbringen.
Hausbesuche sind durch die niedergelassenen Ärzte grundsätzlich möglich, jedoch nicht als eigener Dienst vorgesehen. Zudem wird – wie bei einheimischen Patienten – erwartet, dass mobile Personen die Ordination aufsuchen, da dort deutlich bessere diagnostische und therapeutische Möglichkeiten bestehen. Im Oberpustertal übernimmt laut Auskunft von Landesrat Messner die Funktion einer sogenannten „guardia turistica“ das Krankenhaus Innichen. Die Notaufnahmen sind jedoch seit Jahren stark ausgelastet, und jeder zusätzliche Zugang bindet wertvolle Ressourcen und verursacht hohe Kosten – auch dann, wenn es sich um Beschwerden handelt, die ambulant behandelt werden könnten.



SCHRITTWEISE UMGESETZT
Vor diesem Hintergrund wurde in Gesprächen mit Vertretern der Skirama, der Hoteliers und der Ärzteschaft ein eigenes Konzept entwickelt. Ziel war es, eine Lösung zu schaffen, die einerseits den Bedürfnissen der Gäste gerecht wird und andererseits das öffentliche Gesundheitssystem nicht zusätzlich belastet. Da es sich um eine Serviceleistung handelt, werden die Kosten nicht von der Allgemeinheit getragen, sondern direkt vom Gast übernommen. Der Dienst steht nun zur Verfügung. In mehreren Gesprächen von Dr. Astrid Marsoner mit Thomas Reiter (Skirama) und Daniela Gasser (Hoteliers) wurden nun die letzten Feinschliffe durchgeführt. Dieses Konzept sollte sowohl den Ansprüchen der Patienten, als auch der Überlastung des öffentlichen Gesundheitssystems Rechnung tragen. Es funktioniert ganz einfach: Jeden Tag wird eine Rufbereitschaft mit Ärzten angeboten, die bereit sind, eine Visite im jeweiligen Hotel des betroffenen Gastes zu absolvieren. Die Kosten für den Service trägt der Gast. Die Aktion ist gut angelaufen und viele Ärztinnen und Ärzte haben ihre Bereitschaft bekundet, bei diesem sinnvollen System mitzumachen. Nun sind die Gastwirte und Hoteliers dran: Sie müssen den Dienst weiter bekannt machen. Zum Wohle aller! // rewe

BRUNECKER FRAUEN-GESPRÄCHE 2026
Anlässlich des Tags der Frau finden in Bruneck auch in diesem Jahr wiederum die mittlerweile traditionellen Frauen-Gespräche statt, organisiert von der Stadtgemeinde Bruneck, der Stadtbibliothek Bruneck, dem Club Soroptimist Pustertal-Val Pusteria, Nobis und der Raiffeisenkasse Bruneck. In der aktuellen Auflage wird der Frage nachgegangen, welche Rolle das Geschlecht beim Thema Frieden spielt. Nach der Einführung in das Thema durch ein spannendes Impulsreferat, diskutieren die Podiumsgäste über die unterschiedlichen Facetten des Friedens.
Hast auch du Zipperle-Erinnerungen? Teile sie mit uns!




War schon damals unser Zaubertrunk.
Eine Steilpassvorlage, ein letzter Sprint, ein Jubelschrei – manchmal schreibt das Leben die besten Geschichten. Seit 75 Jahren ist Zipperle Teil solcher Momente. Zum Jubiläum präsentieren sich unsere Etiketten frischer denn je.
Ist die „friedfertige Frau“ nur ein Klischee oder handeln Frauen in Friedensfragen wirklich anders? Sieht ein frauengemachter Frieden anders aus und ist er womöglich beständiger? Um diese Fragen drehen sich die diesjährigen Frauen. Gespräche mit dem Titel „Frauen und Frieden. Frauenbewegung als Friedensbewegung“. Seit der erstmaligen Vergabe des Friedensnobelpreises im Jahr 1901 wurden bis zum Jahr 2025 neben 31 Organisationen 112 Personen damit ausgezeichnet, davon 92 Männer und lediglich 20 Frauen. Zahlen, die danach fragen lassen, worin die Ursache dafür liegt? Sind Frauen wirklich ungeschickter im Frieden-Machen oder liegt das große Manko eher darin, dass ihnen – anders als Männern das erforderliche Netzwerk fehlt, um sich auch in Sachen Frieden Gehör und Einfluss zu verschaffen? Dabei belegen doch viele Studien, dass Frauen Konflikten weniger konfrontativ und dialogbereiter begegnen, während Männer schneller Konfrontation oder gar Krieg als Lösung in Betracht ziehen. Unabhängig davon stellt sich zudem die Frage, wann und wo Frieden oder friedenstiftendes Agieren beginnt? Sind nachhaltiges und soziales Denken und Handeln nicht auch ein Friedensgarant, noch bevor Konflikte überhaupt danach verlangen? Und welches ist wohl hier das sogenannte starke Geschlecht? Ein Impulsreferat durchleuchtet zunächst den Zusammenhang zwischen Frauenbewegung und Friedensbewegung. In der anschließenden Podiumsdiskussion zeigen die Teilnehmerinnen anhand persönlicher Erfahrungen auf, dass Philosophie, Musik und Kunst, Aufklärung, Wissensvermittlung und reflektiertes Vorsorgen zwar die leisen, aber nicht selten die wirksameren Mittel für einen lang anhaltenden Frieden sind… // jst
Impulsreferat: Heidi Hintner (Oberschullehrerin und feministische Aktivistin)
Diskussionsteilnehmerinnen: Nicoletta Cusano (Philosophin), Alena Savina (Musikerin), Rina Treml (Künstlerin und Architektin), Heidi Hintner
Moderation: Judith Steinmair
Musikalische Umrahmung:
Duo „Medea und Aaron Hinteregger“ Interessierte sind herzlich willkommen!
Eine Reservierung ist nicht erforderlich
Tipp: Zum Thema „Frauen und Frieden“ findet sich in der Stadtbibliothek Bruneck vom 2. bis 31. März ein entsprechender Medienfundus.
Datum der Frauen-Gespräche 2026: Montag, 9. März; Uhrzeit: 19.30 Uhr
Veranstaltungsort: Ragenhaus Bruneck //

• HEILSITZUNGEN
• ATLASREPONIERUNG
• COACHING IN PRÄSENZ & ONLINE
• CORE COACHING

PRAXIS FÜR GEISTIGES HEILEN UND FUTURE - COACHING
Warum manche Schmerzen immer wieder kommen…
In meiner Praxis begegnen mir viele Menschen, die unter chronischen Schmerzen leiden, die einfach nicht verschwinden wollen. Sie haben schon so vieles versucht, um diese aufzulösen, aber sie kommen verlässlich immer wieder. Deshalb geht es darum, die Ursachen zu finden und diese zu lösen. In meiner Heilweise als Geistige Heilerin und Future Coach zeigen sich drei verschiedene mögliche Ursachen von chronischen Schmerzen. Es sind dies: Körperliche, emotionale und geistige Ursachen. Alle drei gilt es bei einer Heilung in Betracht zu ziehen und gegebenenfalls auch zu verändern. Bei körperlichen Ursachen ist unser Körpersystem in Unordnung geraten. Dazu zählen z. B. Verschiebungen und Verdrehungen an der Wirbelsäule, welche durch eine Atlasfehlstellung ausgelöst werden können. Dies kann zu Schmerzen im gesamten Körper führen, z.B. im Nacken-, Kopf-, Schulter-, Hüft-, Knie- und Fußbereich, aber auch zu Schwindel, Gleichgewichtsstörungen und Einschränkungen der Organfunktionen. Zu den emotionalen Ursachen gehören alle unsere Verletzungen, Erfahrungen, Traumata, die wir erlebt haben oder aktuell erleben und die alle in unserem Zellgedächtnis gespeichert werden.
Ahraue 12 A | 39031St. Georgen/Bruneck | Tel.

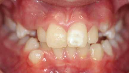
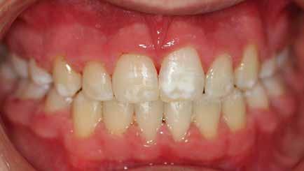
Abb. 1: Vor der Behandlung, frontal

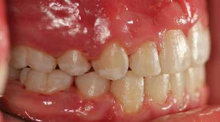
Abb. 3: Vor der Behandlung, rechts

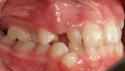
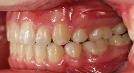
Abb. 5: Vor der Behandlung, links

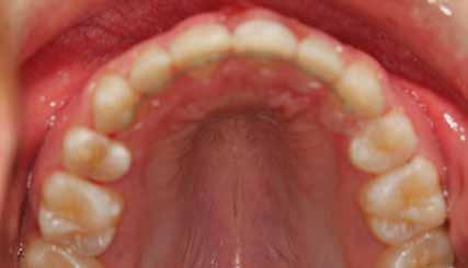
Abb. 5: Vor der Behandlung, Oberkiefer

Wenn wir unsere Emotionen nicht ausdrücken oder unsere belastenden Erlebnisse nicht verarbeiten können, dann können auch Schmerzen in unserem gesamten System auftreten. Die geistigen Ursachen von Schmerzen zeigen sich in unserem Denken. Das bedeutet, dass unsere Denkweise entscheidend für unser Wohlbefinden und unsere Genesung ist. Legen wir den Fokus auf die negativen Aspekte unseres Daseins, auf das, was uns fehlt oder aber auf das Positive, auf all das, was wir haben und erleben dürfen? Sind wir also gedanklich meist im Mangel oder in der Fülle? Wichtig ist mir hier zu erwähnen, dass wir uns dies ja nicht selbst aussuchen, ob wir im Moment kritisch oder zuversichtlich, ängstlich oder mutig, fröhlich oder traurig sind, sondern dies ist immer das Ergebnis von unserem Wesen, unseren Erlebnissen und Erfahrungen, unseren Prägungen und unserem Umfeld.
Aber wir können uns dazu entscheiden, uns Hilfe zu holen und unser Denken schrittweise zu verändern und unsere belastenden Aspekte aufzuarbeiten.
Ich biete in meiner Praxis tiefwirksame und ganzheitliche Begleitung an; es handelt sich hierbei um eine Kombination von Heilsitzungen und Coachings.

Abb. 2: Nach der Behandlung, frontal

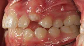
Abb. 4: Nach der Behandlung, rechts

Abb. 6: Nach der Behandlung, links

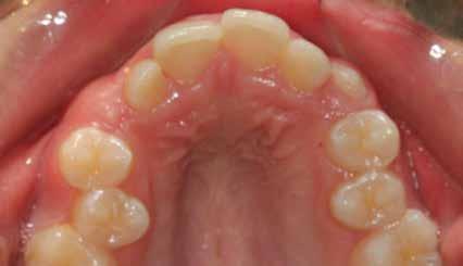
Abb. 6: Nach der Behandlung, Oberkiefer
Dieser Patient hatte folgende Diagnose:
• Skelettale Kl. III (Progenie)
• Lippeninkompetenz
• Großer Platzmangel im Ober- und Unterkiefer
Wegen des starken Platzmangels wurden im Oberkiefer die Zähne 15 und 25 und im Unterkiefer die Zähne 34 und 44 extrahiert.
Die Behandlung erfolgte mit einer festsitzenden Spange, die Behandlungsdauer betrug 20 Monate.
Mit freundlichen Grüßen
Dr. Josef Willeit und Dr. Paul Willeit


Dr. Josef Willeit
Facharzt für Zahn-, Mund- & Kieferheilkunde Facharzt für Kieferorthopädie
Dr. Paul Willeit
Zahnarzt, Facharzt für Kieferorthopädie
Adresse: Romstraße 3, Bruneck • Tel. 0474 555 409 info@willeit.it • www.willeit.it
RA Dr. Johannes Senoner Pircher Schramm Tschurtschenthaler Anwaltskanzlei www.schramm.it

Können Personen, die unter Sachwalterschaft stehen, ein gültiges Testament verfassen? Wenn ja, alleine oder nur in Anwesenheit des Sachwalters?
Zu Frage eins: grundsätzlich ja , denn die Bestimmungen zur Sachwalterschaft (Art. 404-414 ZGB) schließen diese Möglichkeit für die besachwaltete Person nicht von vorneherein aus.
Dieses Prinzip gilt lediglich dann nicht, wenn die Testierfähigkeit im Dekret, welches die Sachwalterschaft eröffnet, ausdrücklich ausgeschlossen ist; außerdem dann, wenn bewiesen wird, dass die unter Sachwalterschaft stehende Person zum Zeitpunkt der Abfassung des Testaments (auch nur vorübergehend) unzurechnungsfähig war.
Zu Frage zwei: kann/muss die besachwaltete Person das Testament allein abfassen oder bedarf es der Anwesenheit des Sachwalters?
Kürzlich hatte sich der Kassationsgerichtshof mit einem derartigen Fall zu befassen: eine unter Sachwalterschaft stehende Person (jedoch zurechnungsfähig) beabsichtigte ein öffentliches Testament (vorzunehmen also beim Notar) zu errichten.
Das Vormundschaftsgericht hatte jedoch zusätzlich den Sachwalter dazu ermächtigt, an der Abfassung des Testaments beim Notar teilzunehmen.
Im Nachhinein kam der Zweifel auf, ob ein solches Testament –zumal ein Testament ja per se eine persönliche Handlung darstellt – überhaupt gültig war
Der Kassationsgerichtshof sprach sich im genannten Fall, der im Urteil Nr. 2648 vom 6. Februar 2026 mündete, klar dagegen aus, und zwar mit folgender Begründung.
Das öffentliche Testament ist höchstpersönlich, weswegen keine anderen Personen außer den im Gesetz genannten (Notar und zwei Zeugen) der Abfassung beiwohnen dürfen. Dies gilt auch für den Sachwalter; Zwischenlösungen sind nämlich unzulässig. Daraus schließt der Kassationsgerichtshof weiters, dass auch das Vormundschaftsgericht keine hiervon abweichenden Dekrete (wie eben das oben beschriebene, welches die Teilnahme des Sachwalters und somit eine Art Zwischenlösung beinhaltete) erlassen darf, zumal dies mit der Natur des Aktes unvereinbar wäre.
Anders formuliert: entweder ist die besachwaltete Person handlungs- und somit testierfähig oder sie ist es nicht.
Das Testament wurde im konkreten Fall folglich für nichtig erklärt. Abgesehen vom beschriebenen Sachverhalt, ist das Verfassen eines Testaments vonseiten einer unter Sachwalterschaft stehenden Person, jedenfalls eine delikate Angelegenheit, weswegen eine entsprechende Beratung vorteilhaft sein kann. //
€Dr. Martin Oberhammer
Wirtschaftsprüfer und Steuerberater
MOVO Wirtschafts- und Steuerberatung Freiberuflergesellschaft www.movo.bz

Mit Wirkung zum 1. Januar 2026 ist die Verpflichtung zur Verbindung von POS-Geräten mit elektronischen Registrierkassen in Kraft getreten. Ab diesem Zeitpunkt sind sämtliche Zahlungsterminals (POSGeräte) sowie digitale Zahlungslösungen (z. B. Apps, Wallets usw.) zwingend mit der jeweiligen Registrierkasse zu verknüpfen. Diese Maßnahme ist Teil der verstärkten Bekämpfung von Steuerhinterziehung und dient der Sicherstellung der Übereinstimmung von Umsätzen und Zahlungseingängen.
Insbesondere Einzelhändler, Handwerksbetriebe, Gastronomiebetriebe, Beherbergungsbetriebe sowie sonstige Dienstleister, einschließlich Kleinstunternehmer („Forfettari“) haben sicherzustellen, dass ihre Systeme vollständig integriert arbeiten und jede Transaktion automatisch übermittelt wird. Übermittelt werden ausschließlich Transaktionsdaten und Zahlungsbeträge; personenbezogene Kundendaten sind hiervon nicht betroffen. Für jeden einzelnen Verkaufsvorgang ist an der Registrierkasse die tatsächlich verwendete Zahlungsart über die entsprechende Funktion der telematischen Registrierkasse auszuwählen.
Die Verbindung erfolgt ausschließlich virtuell über einen eigens eingerichteten Web-Dienst der Agentur der Einnahmen, der voraussichtlich ab Anfang März 2026 im Portal „Fatture e corrispettivi“ zur Verfügung stehen wird. Steuerpflichtige, die bereits Registrierkassen und POS-Geräte im Einsatz haben, verfügen ab Bereitstellung des Dienstes über eine Frist von 45 Tagen zur Herstellung der virtuellen Verbindung. Bei Neuaktivierung eines Geräts ist die Verbindung innerhalb von zwei Monaten ab Aktivierungsdatum vorzunehmen. Für die unterlassene Übermittlung eines einzelnen elektronischen Zahlungsvorgangs ist eine Verwaltungsstrafe in Höhe von 100 Euro je Verstoß vorgesehen; eine rechtliche Kumulation ist nicht möglich. Gleiches gilt im Falle einer fehlerhaften Übermittlung, insbesondere bei Abweichungen zwischen den übermittelten Tageseinnahmen und der auf dem Kassabeleg ausgewiesenen Zahlungsart. Bei fehlender Verbindung zwischen Zahlungsterminal und telematischer Registrierkasse beträgt die Geldbuße zwischen 1.000 und 4.000 Euro; darüber hinaus kann die Aussetzung der Lizenz bzw. der Betriebsgenehmigung angeordnet werden.
Eine fehlerhafte Übermittlung liegt beispielsweise vor, wenn ein Zahlungsvorgang auf dem Kassabeleg als „Barzahlung“ ausgewiesen wird, obwohl die Begleichung tatsächlich mittels elektronischer Zahlung (z. B. Kredit- oder Debitkarte) erfolgt ist. Wird ein entsprechender Fehler jedoch umgehend erkannt, kann die Sanktion durch ordnungsgemäße Stornierung des Kassabelegs und Ausstellung einer Korrektur vermieden werden.
Es wird daher empfohlen, bei der Auswahl der Zahlungsart besondere Sorgfalt walten zu lassen. Zudem sollte zeitnah überprüft werden, ob das eingesetzte Kassensystem sowie die vorhandenen Zahlungsmethoden den technischen Anforderungen entsprechen. Gegebenenfalls ist der IT- bzw. Kassenanbieter mit der erforderlichen Überprüfung und Anpassung zu beauftragen oder Rücksprache mit Ihrem Steuerberater zu halten. //

C Klasse mit Wartungspaket “ServiceCare 2” inklusive. Sorgenfrei unterwegs.
Entdecken Sie bis zum 31. März die C-Klasse Limousine, Station Wagon oder All-Terrain mit zwei regulären Wartungsservices inklusive. Ausschließlich gültig mit Mercedes-Benz Financial.*
Jetzt bei Autoindustriale entdecken.
Das Angebot für das Wartungspaket ServiceCare 2 (zwei Wartungsservices) gilt für Fahrzeuge der C-Klasse (BR206) und E-Klasse (BR214), die bei teilnehmenden Mercedes-Benz Vertragspartnern verfügbar sind, vorbehaltlich begrenzter Verfügbarkeit. Der Vertragsabschluss muss bis zum 31.03.2026 erfolgen, die Fahrzeugzulassung bis spätestens 30.04.2026. Das Angebot ist ausschließlich in Verbindung mit einer Finanzierung oder einem Leasing über Mercedes-Benz Financial Services Italia S.p.A. gültig und mit anderen laufenden Aktionen kombinierbar. Die vollständigen Vertragsbedingungen zu ServiceCare 2 sind bei den teilnehmenden Vertragspartnern sowie online im Bereich „Transparenz“ einsehbar; eine Übersicht der teilnehmenden Händler finden Sie unter mercedes-benz.it. Es handelt sich um eine Werbebotschaft mit Verkaufsförderungszweck. Die angegebenen Verbrauchs- und Emissionswerte beziehen sich auf den WLTP-Messzyklus (kombiniert): C-Klasse Benzin und Diesel mit CO₂-Emissionen von 163 g/km (C 200 T-Modell) bis 116 g/km (C 200d) und einem Verbrauch von 7,2 bis 4,4 l/100 km; Plug-in-Hybridmodelle mit EQ-Technologie mit CO₂-Emissionen von 18 g/km (C 300e T-Modell) bis 13 g/km (C 300e), einem Verbrauch von 0,8 bis 0,6 l/100 km sowie einem Stromverbrauch von 22,7 bis 18,5 kWh/100 km (modellabhängig).
Autoindustriale Srl Offizieller Mercedes-Benz Vertriebspartner BOZEN | BRUNECK | TRIENT www.autoindustriale.com | +39 0471 550 000


Wie die Lawinengefahr im Land beschrieben und eingeordnet wird, das entscheidet er Tag für Tag mit: Landesmeteorologe und Lawinenwarner Lukas Rastner. Im Interview ordnet er die aktuell schwierige Lage ein, erklärt, warum heuer vor allem der Schneedeckenaufbau zum Problem geworden ist und beschreibt, weshalb nicht nur die Gefahrenstufe entscheidend ist, sondern vor allem der genaue Blick auf den Lawinenreport.
PZ: Wir sprechen in einer Phase mit mehreren Lawinenunfällen im Land. Wie erleben Sie persönlich solche Tage in Ihrer Funktion als Lawinenwarner?
Lukas Rastner: Zuerst hat es uns heuer lange nicht betroffen. In den vergangenen Tagen hat es sich bei uns zugespitzt. Das macht die Arbeit auf der einen Seite spannend. Nach der langen Trockenphase war klar, dass irgendwann der Schnee kommt und es dann gefährlich wird. Jetzt sind wir mittendrin. Es hat sich früh abgezeichnet, dass der Schneedeckenaufbau schlecht sein wird, sobald Neuschnee kommt. Mittlerweile sind wir schon bei zehn Todesopfern, also über dem langjährigen Mittel – und wir sind erst in der Mitte des Winters angekommen.
Ist die Schneedecke das eigentliche Problem?
Genau. Wir hatten lange sehr wenig Schnee, südseitig war es bis in den Jänner hinein oft sogar aper. In Schattenhängen, also in nordexponierten Hängen konnte sich jedoch etwas Schnee halten. Und dieser wird, in der Fachsprache, aufbauend umgewandelt. Das

Endprodukt ist dann Schnee mit einer Beschaffenheit wie grobes Salz oder Zucker. Damit kann man keinen Schneemann bauen. Die Kristalle werden immer größer. Fällt auf diese Schneedecke Schnee, entsteht ein problematischer Schneedeckenaufbau: Unten habe ich diesen „Grieß”, also eine sehr schwache, kantige Schicht, und darüber liegt der Neuschnee der vergangenen Wochen. Das große Problem ist also der schlechte Schneedeckenaufbau, vor allem in den Nordexpositionen. Besonders markant sind heuer auch Fernauslösungen.
Lukas Rastner, Jahrgang 1982, verbindet in seiner Arbeit Wissenschaft, Bergpraxis und Kommunikation. Seit 2013 arbeitet er beim Amt für Meteorologie und Lawinenwarnung in Bozen. Als Lawinenwarner sorgt er dafür, die aktuelle Lawinengefahr für Südtirol einzuordnen und verständlich zu machen.
In den Sommermonaten arbeitet er zudem beim Wetterdienst. Außerdem ist er seit 2019 aktives Mitglied der Bergrettung Südtirol. Rastner, der aus Gais stammt, hat Meteorologie und Geophysik in Innsbruck studiert. Sein Gespür für Schnee begleitet ihn seit der Kindheit. //
Was heißt das?
Damit eine Lawine ausgelöst werden kann, braucht es immer einen Bruch in einer Schwachschicht der Schneedecke. Diesen kann man auch im flachen Gelände initiieren. Der Bruch kann sich dabei über weite Strecken fortpflanzen und erst dort, wo es steil genug ist, eine Lawine auslösen. Dazu haben wir aktuell viele Rückmeldungen und auch Unfälle.
Ist der heurige Winter aus Schneesicht ein besonderer?
Ja, Südtirol ist grundsätzlich bekannt für einen eher schlechten Schneedeckenaufbau, weil wir inneralpin liegen. Wir haben selten große Schneeereignisse. Diese sind kurzfristig kritisch, langfristig aber günstig für den Schneedeckenaufbau. Dieses Jahr gab es lange Zeit fast überhaupt keinen Schnee – und das, was gefallen ist, stellt uns vor Herausforderungen: Wir be-


finden uns in einem Winter mit einem sehr auffälligen Altschneeproblem.
Wenn Sie Ihre Aufgabe beschreiben müssten: Sind Sie eher Beobachter, Übersetzer von Gefahren oder Warnender?
Ich glaube, wir sind alles davon. Wir beobachten viel, aber als einzelne Person kann man nie alles sehen. Wir haben im ganzen Land Beobachter, Bergführer, Bergretter, Förster, Tourengeher und die Lawinenkommissionen, die uns Rückmeldungen geben. Wir schauen auf Webcams, Wetterstations-
daten und Schneedeckenmodelle. Diese Beobachtungen fassen wir zu einer aktuellen Schnee- und Lawinensituation zusammen und beschreiben sie. Als Lawinenwarndienst tun wir das unter anderem in Form eines wöchentlichen Blogs. Und das Spannende ist dann, all das mit europaweit einheitlichen Werkzeugen und Begriffen, in Kombination mit Wetterprognose und Tendenz für die nächsten Tage aufzubereiten und zu veröffentlichen. Wichtig ist: Wir beschreiben die Lawinengefahr, nicht das individuelle Risiko.
Es gibt Bergretter, die sagen: Das ist ein Winter, in dem man auf die meisten Skitouren verzichten sollte. Wir gehen ja gerade deshalb gerne in die Berge, weil es dort keine starren Regeln gibt. Das Risiko ist individuell. Fakt ist aber: Es ist derzeit ein schwieriger Winter – auch, weil die Situation schwer einzuschätzen ist. Das bestätigen uns auch Bergführer. So viele Risse und Wumm-Geräusche in der Schneedecke sind selten. Deshalb ist große Zurückhaltung angesagt. Man darf nicht vergessen: Wenn bei einer Tour nichts passiert, heißt das nicht automatisch, dass die Situation sicher war. >>






























Wie ist der Lawinenreport aufgestellt? Wir haben in der Lawinenwarnung fünf Gefahrenstufen – die sind bekannt. Aber wir haben auch fünf Lawinenprobleme. Mit diesen versuchen wir, die Situation zusätzlich, auch visuell mit Icons, verständlich zu machen. Wenn ich einem Tourengeher sage: Achtung, wir haben ein markantes Altschneeproblem, dann ist das innerhalb der europäischen Warndienste klar definiert. Dazu gibt es konkrete Verhaltensempfehlungen: wegbleiben von steilen Hängen, defensiv unterwegs sein. Wenn ich hingegen von einer klassischen Frühjahrssituation spreche, heißt das: sehr früh starten und früh wieder zurück sein, weil am Nachmittag bei starker Sonneneinstrahlung Nassschneelawinen drohen. Deshalb sind diese fünf Lawinenprobleme so wichtig – und heuer ist das Altschneeproblem das dominierende.
Das Kleingedruckte ist also viel wichtiger als die eigentliche Gefahrenstufe? Es gibt die sogenannte Informationspyramide, an deren Spitze die Gefahrenstufe steht. Aber die Zahl allein sagt wenig aus. Deshalb gibt es die Lawinenprobleme. Im Text sind die Fachbegriffe blau unterstrichen; per Mouse-over bekommt man die Erklärung. Wenn ich die Begriffe nicht kenne, kann ich den Bericht kaum sinnvoll lesen. Ich kann mit dem „Feind” besser umgehen, wenn ich weiß, womit ich es zu tun habe. Was ist Steilgelände? Was ist Triebschnee? Was heißt Exposition? Und dann stellt sich die nächste Frage: Komme ich überhaupt in dieses Gelände? Wir beschreiben die Lawinengefahr auf regionaler Ebene – nie einen Bericht für einen einzelnen Berg. Wir können die Lage allgemein oft recht gut beschreiben, aber


Eine Woche ohne Skitour gibt es bei Lukas Rastner nicht. Hier ist er gerade beim Aufstieg auf die Weißkugel von Langtaufers aus zu sehen.
dann beginnt die Eigenverantwortung. Und dafür ist die Ausbildung das A und O.
Für die Arbeit verlassen Sie immer wieder das Büro. Was heißt es, im Gelände unterwegs zu sein?
Da verifizieren wir die aktuelle Situation in einer bestimmten Höhenstufe und Exposition. Nach einem Lawinenunfall schauen wir uns zum Beispiel in der Umgebung um, um besser zu verstehen, wie die Lage tatsächlich ist. Wenn es möglich ist, gehen wir bei Unfällen auch direkt hin. Aber das geht nicht immer: Uns interessiert vor allem die Stelle, an der die Lawine gestartet ist – also der Anbruchbereich. Genau dort befinden wir uns aber oft selbst in einem kritischen Bereich. Das muss man jedes Mal sorgfältig abwägen.
Wie gehen Sie emotional damit um, an einen Ort zu gehen, wo ein schwerer Lawinenunfall passiert ist?

Das beschäftigt mich sehr. Wir wollen den Schneedeckenaufbau analysieren, was eine wissenschaftliche Arbeit ist. Aber dann kommt die menschliche Komponente dazu. Wenn man in der Ablagerung das Loch sieht und weiß, dass dort jemand verstorben ist, gibt einem das schon zu denken. Die Tragödie dahinter beschäftigt einen dann latent weiter – besonders in Phasen mit vielen Unfällen und Rückmeldungen. Der Rucksack des Lawinenwarners wird im Lauf des Winters immer schwerer. Wirklich aufatmen kann man erst, wenn man in den Sommermodus schaltet.
Passiert es oft, dass Einstufungen kritisiert werden?
Ja, durchaus. Ich habe gerade eben eine Mail beantwortet, in der jemand geschrieben hat, Gefahrenstufe 4 sei überbewertet. Sinngemäß nach dem Motto: Ihr macht das extra, um auf der sicheren Seite zu sein. Aber es geht um eine objektive Bewertung. Wenn wir

Im Gelände untersucht Lukas Rastner das Schichtprofil der Schneedecke (l.) und führt einen Stabilitätstest durch (rechts). Risse in der Schneedecke (Mitte) sind heuer häufig und bestätigen den schlechten Schneedeckenaufbau der vergangenen Wochen.
ständig zu hoch einschätzen würden, würde das die Wirkung verlieren. Umgekehrt kommt auch Kritik in die andere Richtung: Das hätte mindestens ein Dreier sein müssen. Das passiert besonders dann, wenn alles nur auf die Gefahrenstufe reduziert wird.
Inwiefern kann auch die Berichterstattung nach Unfällen zu einer besseren Kommunikation beitragen?
Außerhalb unserer Fachblase merkt man oft, dass die Berichterstattung ein bisschen klickgetrieben ist. Das fängt schon bei Bildern von Mörderlawinen an, die mit dem konkreten Fall oft wenig zu tun haben. Wir schreiben wöchentlich einen Blog und versuchen darin, ein neutrales Bild zu vermitteln. Vor etwa einem Jahr habe ich alle Medien im Land kontaktiert und darauf hingewiesen, dass wir diesen Blog veröffentlichen. Aktive Prävention also. Ich habe darauf eine (!) Rückmeldung erhalten.
Wie oft hören Sie: Luki, wie wird das Wetter?
Ziemlich regelmäßig. Das geht sogar so weit, dass manche selbst gar nicht mehr nachschauen. Dann heißt es: Warum soll ich lesen, wenn ich dich fragen kann?
Welche Frage nervt Meteorologen am meisten? Es sind weniger Fragen als Kommentare wie: Ah, das habt ihr wieder mal gut erraten. Ach, vom Erraten sind wir weit weg. Dahinter stehen hochkomplexe wissenschaftliche Modelle. Eigentlich gibt es, aufs ganze Land bezogen, kaum noch echte Fehlprognosen, auch wenn es lokal sicherlich vorkommt. Häufiger haben wir ein Sender-Empfänger-Problem – also ein Kommunikationsproblem. Die Leute lesen den Bericht schlicht falsch und verstehen Fachbegriffe teilweise nicht. Wenn wir sagen, morgen entstehen im Tagesverlauf Regenschauer, heißt das nicht, dass es überall regnet, sondern, dass es lokal Regenschauer geben wird. Wo diese entstehen, kann man nicht genau sagen.
Werden Sie selbst manchmal vom Wetter überrascht? Lokal kann das immer wieder passieren, aber wirkliche Überraschungen beim Wetter gibt es in Mitteleuropa heute eigentlich kaum noch.
Was hat sich am meisten verändert, seit Sie dabei sind? Im klassischen Wetterdienst spüre ich den Klimawandel nicht. Klima ist das dreißigjährige Mittel, nicht das einzelne Wetter an einem Tag. Wenn ich im Dienst bin, beschäftige ich mich mit der konkreten Prognose: sonnig, wolkig, Gewitter, Schneefall. Ich schaue mir Wettermodelle an und interpretiere sie. Bei den Lawinenprognosen merke ich die Veränderung hingegen schon. Heuer hatten wir schon um den 24. Februar eine Nassschneeproblematik, weil es in der Höhe bereits so mild war. Dass wir uns darüber zu diesem Zeitpunkt schon Gedanken machen müssen, ist neu.
Bei Ihnen ist Schnee nicht nur Hobby, sondern Beruf. Schnee, Wetter und Berg haben mich schon als Kind fasziniert. Ich habe auch frühe Erinnerungen an Lawinen, ich war an dem Tag am Speikboden, als dort eine Lawine mehrere Todesopfer forderte. Mein Onkel hatte am Klausberg eine Hütte und ich erinnere mich daran, dass man an manchen Tagen wegen der Lawinengefahr dort nicht hinfahren konnte. Naturwissenschaften waren bei uns allgegenwärtig. Heute kann ich sagen: Ich habe mein Hobby zum Beruf gemacht. Mich fasziniert immer noch, dass eine Mikrostruktur im Millimeterbereich darüber entscheidet, ob eine Lawine ausgelöst werden kann oder nicht.
Ihr Tipp für Tourengeher und Freerider?
Wenn der Schnee das Problem ist, dann ist das Gelände die Lösung. Ich muss meine Tour immer an die aktuelle Situation anpassen.
// Interview: Verena Duregger

Unseren tiefsten Respekt, was haben wir doch was für eine begabte „jüngere“ Generation, derzeit in der Arbeitswelt verankert vor allem die sogenannte Generation Y und Z, leider allzu häufig nicht in unserem Land tätig, sondern weltweit agierend. Wie etwa der gebürtige Brunecker Clemens Schwingshackl, seines Zeichens Klima- und Ökosystemforscher, derzeit wissenschaftlicher Mitarbeiter an der Ludwig-Maximilian-Universität München und unlängst mit dem Arnold-Sommerfeld-Preis bedacht, eine Auszeichnung für exzellente Forscher aus Mathematik und Naturwissenschaften. Die PZ hat ihn zum Gespräch gebeten.
Kurz zu seinem Leben: Nach dem Besuch des Realgymnasiums in Bruneck studiert Clemens Schwingshackl Physik, macht seinen Bachelor in technischer Physik an der TU in Graz und seinen Master in Physik an der Universität in Heidelberg, den Doktor der Naturwissenschaften dann an der ETH Zürich, wo er anschließend auch als Postdoktorand arbeitet. Nach zwei Jahren am norwegischen Center for International Climate Research, wo er zum Grundlagenverständnis von Land-Atmosphären-Interaktionen sowie ihrer Relevanz für Hitzeextreme und deren Folgen für die Gesundheit forscht, wechselt er im Jahr 2021 an die LMU München, wo er unter anderem durch Kombination verschiedener Modellierungsansätze innovative Lösungen entwickelt, um die komplexen Interaktionen zwischen Mensch, Umwelt und Klima in ihrem Effekt auf den globalen Kohlenstoffkreislauf zu separieren. Eine durchaus wichtige Forschung, da CO2-Emissionen durch Entwaldung und andere Landnutzung sowie die Klimaschäden an den weltweiten Kohlenstoffspeichern in Vegetation und Böden neben den fossilen Emissionen die wesentlichen Treiber der globalen Erwärmung darstellen. Ohne diese Separierung wäre es nicht möglich, den Fortschritt der Nationen im Klimaschutz faktenbasiert nachzuverfolgen.
DIE AUSZEICHNUNG
Den Arnold-Sommerfeld-Preis vergibt die Bayerische Akademie der Wissenschaften (BAdW)- eine außeruniversitäre Forschungseinrichtung und Gelehrtengemeinschaftseit 1994 für herausragende Leistungen von Nachwuchswissenschaftlern und -wissenschaftlerinnen in den Naturwissenschaften. In der Laudatio werden unter anderem folgende Begründungen für die Verleihung an Clemens Schwingshackl angegeben: „Dr. Schwingshackl ist ein methodisch wie inhaltlich außergewöhnlich breit aufgestellter
Klima- und Ökosystemforscher und trägt zu einer bemerkenswerten Anzahl hochrangiger internationaler Großprojekte bei, die die wissenschaftlichen Grundlagen für Klimapolitik zusammentragen (…)“ und „Seine herausragende methodische und inhaltliche Kreativität und sein stetiges Engagement bei der Integration internationaler Teams für eine immer umfassendere Datenlage brachten einen Durchbruch in der robusten Quantifizierung terrestrischer Kohlenstoffquellen und -senken und stellen in Hinblick auf die Wissensbasis für politische Entscheidungen einen maßgeblichen Fortschritt dar (…)“.
KLINGT KOMPLEX?
viel Freude gemacht hat. Für das Masterstudium bin ich von der TU Graz nach Heidelberg gewechselt, weil die dortige Universität einen Master mit Schwerpunkt Umweltphysik anbietet. Das hat meine beiden Interessen, Physik und Umwelt, sehr gut verbunden. Seit meiner Doktorarbeit beschäftige ich mich hauptsächlich mit verschiedenen

Aspekten von Klima und Klimawandel, zum Beispiel wie Bodenfeuchtigkeit die Lufttemperatur beeinflusst und wie sich die Hitzebelastung für Menschen mit dem Klimawandel ändert, etwa in Städten.
WIR HABEN NACHGEFRAGT:
PZ: Sie sind Physiker und speziell als Klimawissenschaftler tätig – ein Bereich, der in den vergangenen Jahren ja immer wichtiger und spannender/umfangreicher geworden ist, oder? Hat Sie das Thema immer schon interessiert? Clemens Schwingshackl: Mich interessieren sowohl Umweltthemen als auch Physik und Mathematik schon sehr lange, im Wesentlich schon seit der Schulzeit. Ein Grund für mein Interesse an Umwelt und Klima ist sicherlich, dass ich sehr gerne draußen unterwegs bin. Am Wochenende gehe ich immer noch sehr gerne in den Bergen wandern, auch wenn das von München aus mit mehr Aufwand verbunden ist als früher in Bruneck. Ich habe mich dann für ein Physikstudium entschieden, weil mir das einfach sehr
Womit beschäftigen Sie sich derzeit in Ihrer wissenschaftlichen Arbeit hauptsächlich?
Bei meiner jetzigen Arbeit an der LudwigMaximilians-Universität München untersuche ich, welche Rolle die menschliche Landnutzung für das Klima spielt. Konkret geht es darum, wie die globale Ausbreitung von Landwirtschaft auf Kosten von Wäldern oder anderer natürlicher Vegetation zum Klimawandel beiträgt, aber auch wie beispielsweise die Anpflanzung von Bäumen und die Aufforstung zum Klimaschutz beiträgt. Ein bekanntes Beispiel ist der AmazonasRegenwald, wo große Gebiete für landwirtschaftliche Nutzflächen abgeholzt wurden und werden. Die Trockenlegung von Mooren, unter anderem auch in Europa, spielt ebenfalls eine wichtige Rolle, denn sowohl Wälder als auch Moore speichern sehr viel
Kohlenstoff. Wenn sie zerstört werden, wird dieser Kohlenstoff freigesetzt, gelangt in die Atmosphäre und trägt damit zum Klimawandel bei. Insgesamt verursachte die Landnutzung etwa ein Drittel der gesamten bisherigen CO₂-Emissionen. Die Art und Weise wie Menschen Land nutzen, spielt also für den Klimawandel eine entscheidende Rolle.
Inwieweit sind Ihre Forschungen/Forschungsergebnisse für den Klimaschutz bzw. entsprechende politische Entscheidungen relevant?
Meine Forschung trägt zu einem besseren Verständnis des globalen Kohlenstoffkreislaufs bei. CO2-Emissionen durch fossile Brennstoffe und Landnutzung spielen dabei die zentrale Rolle. Dadurch steigt der CO2Gehalt der Atmosphäre. Teile der CO2-Emissionen werden aber wieder aufgenommen: Durch mehr CO2 in der Luft wachsen Pflanzen besser und nehmen mehr Kohlenstoff auf und auch die CO₂-Speicherfähigkeit der Ozeane nimmt zu. Der Klimawandel hängt wesentlich vom Zusammenspiel dieser Faktoren ab. Die aktuellen Zahlen zu CO2Emissionen und CO2-Aufnahme werden jedes Jahr im Global Carbon Budget (deutsch: Globales Kohlenstoffbudget) veröffentlicht, für das ich den Abschnitt zur menschlichen Landnutzung koordiniere. An diesem Bericht wirken über 130 Wissenschaftlerinnen und Wissenschaftler aus 18 Ländern mit. Die Ergebnisse fließen unter anderem in die Berichte des Weltklimarats (IPCC) ein, wodurch sie direkt für Politik und die Planung von Klimaschutzmaßnahmen relevant sind. Meine Beiträge zum Global Carbon Budget, insbesondere Fortschritte bei der Konsistenz und Genauigkeit, waren ein wesentlicher Grund für die Auszeichnung mit dem Arnold-Sommerfeld-Preis im Dezember 2025.
Mal ganz allgemein einen Experten auf diesem Gebiet gefragt: Können wir mit all den klimatischen Problemen dennoch zuversichtlich in die Zukunft blicken?
Ich bin grundsätzlich ein Optimist und bin überzeugt, dass wir die Mittel in der Hand ha-
ben, um den Klimawandel zu bremsen und sogar ganz aufzuhalten. Natürlich stellt uns das aber vor große Herausforderungen. Mit steigender Erderwärmung nehmen die Auswirkungen des Klimawandels, wie zum Beispiel Extremwetter oder Meeresspiegelanstieg, immer stärker zu. Je länger wir warten oder zu wenig machen, desto stärker werden die Folgen des Klimawandels sein. Gleichzeitig haben wir jederzeit die Möglichkeit gegenzusteuern. Jedes Zehntelgrad weniger Temperaturanstieg macht einen großen Unterschied. Und es gibt auch Entwicklungen, die zuversichtlich stimmen können. So geht etwa der Ausbau von erneuerbaren Energien rasant voran. Wenn die aktuellen Wachstumsraten anhalten, könnten erneuerbare Energien in naher Zukunft einen Großteil der Energieversorgung bereitstellen. Dabei spielen auch wirtschaftliche Entwicklungen eine Rolle, denn erneuerbare Energien sind inzwischen oft günstiger als fossile.
Vor einigen Jahren waren Klimawandel/Klimaschutz gefühlt in aller Munde und ganz oben auf der globalen Agenda, mittlerweile scheinen andere Krisen wie Kriege u.ä. die Diskussionen und die Bemühungen rund um den Klimaschutz ein wenig ins Abseits gedrängt zu haben, oder wie sehen Sie das? Eine gefährliche Entwicklung? Es stimmt, dass der Klimawandel in der öffentlichen Debatte zuletzt in den Hintergrund gerückt ist. Das birgt natürlich die Gefahr, dass aufgrund der fehlenden Aufmerksamkeit politisch zu wenig getan wird. Gleichzeitig kann es aber auch eine Chance sein: Manche Veränderungen lassen sich leichter umsetzen, wenn sie politisch weniger aufgeladen sind. Entscheidend ist, ob getroffene Entscheidungen konsequent und langfristig umgesetzt werden. Die vor kurzem erfolgte Aufweichung des VerbrennerVerbots in der EU ist dafür leider ein negatives Beispiel. Allerdings merke ich in meiner Arbeit auch immer wieder, dass Schulen und Organisationen, wie etwa der Alpenverein, weiterhin großes Interesse an Klimathemen haben und wir immer wieder Anfragen für

Vorträge und Workshops bekommen. Solange es keine klaren und konsequenten Strategien für Klimaschutz gibt, bleibt der Klimawandel ein strukturelles Problem, das uns sicherlich noch häufig beschäftigen wird.
Sind wir also klimapolitisch derzeit adäquat aufgestellt oder müssen wir weltweit (bzw. wie oder wo) noch eine Schippe drauflegen?
Mit den aktuellen politischen Maßnahmen werden wir voraussichtlich bei etwa 2,7 °C Erwärmung landen. Das ist deutlich über den Zielen des Pariser Klimaabkommens von maximal 1,5 bis 2 °C. Es ist also klar, dass mehr unternommen werden muss. Ich bin überzeugt, dass es in erster Linie Aufgabe der Politik ist, die notwendigen Rahmenbedingungen dafür zu setzen. Nur so lassen sich global wirksame Veränderungen erreichen. Allerdings müssen Maßnahmen zum Klimaschutz auch immer von der Gesellschaft mitgetragen werden, damit sie wirksam sind. In Europa sinken die CO2Emissionen langsam, aber kontinuierlich. In anderen Gegenden steigen die Emissionen aber weiterhin an, vor allem in Ländern, die zurecht nach besseren Lebensbedingungen streben. Die entscheidende Frage ist, wie sich Lebensbedingungen und Wirtschaft in diesen Regionen verbessern lassen, ohne den gleichen fossil geprägten Weg zu gehen wie Europa oder die USA. Wissensund Technologietransfer sowie internationale Unterstützung spielen dabei eine zentrale Rolle. // Interview: Judith Steinmair

Im Vereinshaus von Percha trafen sich kürzlich die Vertreterinnen und Vertreter der 54 Musikkapellen des VSM-Bezirkes Bruneck zur 77. Jahreshauptversammlung. Die musikalische Umrahmung durch die gastgebende Musikkapelle verlieh dem Treffen einen würdigen Auftakt und unterstrich die Lebendigkeit des Bezirks, dem derzeit 2.788 Musikantinnen und Musikanten angehören.
Im Mittelpunkt der Versammlung stand der Rückblick auf ein arbeitsreiches Jahr, das von zahlreichen Initiativen im musikalischen und organisatorischen Bereich geprägt war. Besonders hervorgehoben wurde von Bezirksobmann Johann Hilber auch die Bedeutung einer fundierten Ausund Weiterbildung für Kapellmeister, Funktionäre und aktive Mitglieder. Sie gilt als wesentliche Voraussetzung dafür, die Qualität in den Kapellen zu sichern und die Blasmusik langfristig weiterzuentwickeln. Positiv bewertet wurde, dass im Bezirk bislang alle Kapellmeisterstellen besetzt werden konnten. Das ist ein starkes Zeichen für funktionierende Ausbildungswege und eine engagierte Nachwuchsarbeit. Neben den inhaltlichen Themen wurde auch die aktuelle Situation rund um bürokratische und steuerrechtliche Vorgaben angesprochen, die die Vereinsarbeit zunehmend erschweren. Die Bezirks- und Verbandsverantwortlichen betonten die Notwendigkeit praktikabler Lösungen, um das Ehrenamt nachhaltig zu stärken. Gleichzeitig wur-
de die gute Zusammenarbeit mit Gemeinden und Bezirksgemeinschaft als wichtige Grundlage für das kulturelle Leben im Pustertal hervorgehoben.
EHRUNGEN UND AUSBLICK
Im Rahmen der Versammlung konnten zudem zwei langjährige Funktionäre – Werner Pitterle und Klaus Neuhauser - für ihren engagierten Einsatz mit dem VSM-Verdienstzeichen in Gold ausgezeichnet werden. Die Ehrung würdigte ihren langjährigen Beitrag zur organisatorischen und technischen Weiterentwicklung des Bezirkes. Mit Blick auf das Jahr 2026 wurde ein umfangreiches Jahresprogramm vorgestellt. Neben der Jahreshauptversammlung im Februar sind mehrere Fortbildungsangebote geplant, darunter ein Dirigierkurs in St. Lorenzen sowie ein Grund- und Aufbaukurs für Stabführer in Stegen. Ein weiterer Höhepunkt wird die Konzertwertung Ende April im Gustav-Mahler-Saal in Toblach sein, bei der sich die Kapellen einer fachkundigen Bewertung stellen.

VSM-Bezirksobmann Johann Hilber rewe
UMFANGREICHES JAHRESPROGRAMM Großes Augenmerk gilt auch der Jugendarbeit. Im Juli finden in Bruneck die 20. Bezirksjungbläsertage statt, gefolgt vom Bezirks-Jugendkapellentreffen im September in Olang. Im Herbst steht die Bildung


des Bezirksjugendblasorchesters auf dem Programm, das seine traditionellen Weihnachtskonzerte am 26. und 27. Dezember in Toblach und Pfalzen geben werden. Ergänzt wird das Jahresprogramm durch einen Posaunen-Workshop im November sowie eine spezialisierte Fortbildung für Stabführer.
Die Jahreshauptversammlung machte deutlich, dass der VSM-Bezirk Bruneck organisatorisch solide aufgestellt ist und in der Nachwuchsarbeit klare Schwerpunkte setzt. Mit einem breit gefächerten Ausbildungsangebot, kulturellen Höhepunkten und einem starken Netzwerk innerhalb des Bezirks bleibt die Blasmusik ein tragender Bestandteil des gesellschaftlichen und kulturellen Lebens im Pustertal.
BÜRGERKAPELLE BRUNECK


Die Bürgerkapelle Bruneck blickte in einem würdigen Rahmen auf das vergangene Jahr zurück. Obmann Manuel Palfrader begrüßte zahlreiche Ehrengäste und zog gemeinsam mit Kapellmeister Andreas Pramstraller Bilanz über ein engagiertes Vereinsjahr 2025. Beide dankten den Musikantinnen und Musikanten, dem Vorstand sowie dem Bürgerausschuss für ihren verlässlichen Einsatz im Dienste der Blasmusik. Im Zuge der Feier wurden auch die neuen Mitglieder offiziell in die Kapelle aufgenommen.
Im Mittelpunkt des Abends standen mehrere Ehrungen für langjährige und verdiente Mitglieder. Das Ehrenzeichen in Gold für 40-jährige Tätigkeit erhielt der frühere Obmann
Klaus Neuhauser. Mit dem großen Ehrenzeichen in Gold am Bande wurde Otto Pramstraller für beeindruckende 60 Jahre aktives Wirken ausgezeichnet. Weitere Würdigungen gingen an Georg Zambelli für seine langjährige Tätigkeit als Kassier sowie an Marco Faustini für 26 Jahre als Stabführer. Eine besondere Anerkennung erfuhr Albert Niederwanger, der nach 61 Jahren als aktiver Musikant zum Ehrenmitglied ernannt wurde. Bürgermeister Bruno Wolf und Dekan Josef Knapp würdigten in ihren Grußworten die wichtige Rolle der Kapelle im kulturellen Leben der Stadt. Der Abend klang in geselliger Runde aus.Bereits Anfang Jänner hatte die Jahreshauptversammlung mit Neuwah-
len stattgefunden. Manuel Palfrader wurde als Obmann bestätigt, ebenso Vizeobmann Alex Rubner. Auch mehrere Vorstandsmitglieder erhielten erneut das Vertrauen der Versammlung. In der Jugendarbeit übergab Moritz Feichter sein Amt an Igor Bachmann. Neuer Kassier ist Lukas Grünfelder, der Georg Zambelli nachfolgt. Zudem wurden verdiente Mitglieder des Bürgerausschusses verabschiedet und neue Kräfte in das Gremium aufgenommen. Mit einem abwechslungsreichen Jahresprogramm startet die Bürgerkapelle Bruneck motiviert in das neue Vereinsjahr. Den Auftakt bildet das Frühjahrskonzert am 21. März 2026 im Veranstaltungszentrum „Nobis“. // ct/rewe

EIN KUNSTWERK IM SCHNEE IN GSIES
Wenn sich in Gsies eine weite Schneefläche in eine gigantische, begehbare Leinwand verwandelt, dann steckt dahinter der Pichler Künstler Luis Seiwald. Was einst als experimentelles Winterprojekt begann, ist inzwischen zu einer echten regionalen Kunsttradition geworden. Nach zwei schneearmen Wintern war es heuer endlich wieder so weit: Seiwald und sein Team haben ein weiteres überdimensionales Schneebild geschaffen – und damit ein beeindruckendes Statement zum vergänglichen Charakter der Natur gesetzt.
EIN KORNKREIS ALS VORLAGE

Als künstlerische Inspiration diente heuer ein mysteriöser Kornkreis, der am 9. Juni 2001 in Berwick Bassett (Wiltshire, England) entdeckt wurde. Seiwald übersetzte die komplexe Form in den Schnee – groß, geometrisch und beeindruckend klar. Die Dimensionen sind gewaltig: 80 Meter Durchmesser, getreten in drei Stunden. Mit dabei war wie jedes Jahr die Keramikkünstlerin Barbara Seeber, seit Langem


eine wichtige Begleiterin im kreativen Prozess, stets vorne mit dabei, wenn die ersten Linien in den frischen Schnee gesetzt werden.
EIN TEAM AUS ALLEN HIMMELSRICHTUNGEN
Auch in diesem Jahr kamen die „Schneebildtreter“ aus verschiedenen Orten zusammen: Unter ihnen Theresia Prantner (Malona), Christine Kopfsguter, Manuela Oberhammer sowie weitere Unterstützerinnen und Unterstützer, die sich der besonderen Herausforderung stellten. Für einige war es das erste Mal, dass sie Schneeschuhe anschnallten und sich in die Kunstfläche wagten, ein Moment, der für viele zu einem echten Herzenswunsch geworden war und nun in Erfüllung ging.
„LAND-ART“ IN IHRER REINSTEN FORM
Das Werk erfüllt sämtliche Kriterien der LandArt: Kunst aus der Natur, Kunst in der Natur, minimaler Eingriff, und die bewusste Einbeziehung der Vergänglichkeit. Gerade diese Vergänglichkeit macht das Schneebild zu einem einmaligen Erlebnis. Je nach Wetter, Licht und Temperatur kann es Tage oder sogar nur Stunden bestehen bleiben. Doch genau darin liegt seine Magie.
EIN APPELL AN DIE ZEIT UND AN DEN SCHNEE
Seiwald betont jedes Jahr, wie wertvoll die passende Schneelage in Gsies ist: Nicht nur als Werkstoff, sondern als immer selteneres Geschenk. In den vergangenen zwei Jahren war ein Schneebild nicht mehr möglich. Umso größer war die Freude, dass die Bedingungen heuer wieder stimmten. Wer das Schneekunstwerk sehen möchte, sollte sich daher bald auf den Weg machen solange der Winter es noch erlaubt. // jeti
Am 20. Februar 2026 wurde im Pinta Pichl in der Brunecker Oberstadt die Ausstellung „Skulpturen“ des Bildhauers Friedrich Sebastian Feichter eröffnet. Der Künstler, der 1962 in Luttach geboren wurde, zählt zu den bemerkenswerten Vertretern der zeitgenössischen Kunst in der Region.
Feichter ist vor allem für seine faszinierenden, teils geheimnisvollen Skulpturen bekannt, die oft in Serien oder Zyklen wie Homo Solaris entstanden sind und sich mit grundlegenden Begriffen wie Zeit, Raum und Existenz auseinandersetzen. Seine Werke vermitteln eine Balance zwischen schwerelos wirkender Form und organischer Präsenz und laden die Betrachter ein, neue Blickwinkel auf gewohnte Wahrnehmungen zu entdecken.
Die Ausstellung im einladenden „Pinta Pichl“ zeigt eine Auswahl seiner Arbeiten und macht die besondere künstlerische Sprache Feichters erlebbar: Skulpturen, die in ihrer Wirkung gleicherma-


Die Georgibühne bring das Stück „Kikerikiste“ von Paul Mair im UFO in Bruneck auf die Bühne. Regie führt Fabian Mutschlechner. Das Stück ins inhaltlich rasch auf den Punkt gebracht: Bartholomäus und Kümmel sind unzertrennliche beste Freunde. Den ganzen Tag wird am Rande eines kleinen Dorfes gespielt, gelacht, gestritten und natürlich verglichen: Wessen Kiste ist größer? Schöner? Besser?
Doch dann taucht ein geheimnisvoller Musikmarschierer auf. Mit Trommelwirbel, süßen Versprechen und falschem Glanz treibt er einen Keil zwischen die beiden - und bringt ihre Freundschaft gehörig ins Wanken... Kikerikiste ist ein spielerisches Theaterabenteuer voller Witz, Tempo und Fantasie. Der zeitlose Klassiker zeigt, wie leicht man sich

ßen sinnlich, rätselhaft und kraftvoll erscheinen. Besucherinnen und Besucher können noch bis Mitte März 2026 in die skulpturale Welt des Künstlers eintauchen und sich von seiner Vision inspirieren lassen. // rewe



blenden lässt und was echte Freundschaft wirklich bedeutet. Es ist ein gutes Stück für Kinder und Erwachsene. // ma
Freitag, 13.03.2026, 19.00 Uhr (Premiere)
Samstag, 14.03.2026, 17.00 Uhr
Mittwoch, 18.03.2026, 17.00 Uhr
Freitag, 20.03.2026, 19.00 Uhr
Aufführungen im UFO in Bruneck Kartenreservierung: 340 8593807
Mit gewohntem Schwung und einem breitgefächerten Programm ist das Stadttheater Bruneck ins neue Jahr gestartet und bietet somit auch in der zweiten Hälfte des aktuellen Spielplans für Kulturinteressierte jeden Genres und jeden Alters etwas. Nach einem Kabarett/Liederabend mit Christoph Spörk und einem akustischen Abenteuer für Kinder beim Musiktheater stehen weitere Kabarettprogramme, ein Konzertabend, eine Clownshow sowie zwei Eigenproduktionen auf dem Programm. Der gesamte Spielplan mit weiteren Informationen findet sich unter www.stadttheater.eu.
KABARETT MIT „VOLLE KANNE“
Eine Frau am Rande des Nervenzusammenbruchs. Sie kann anraten, ausrechnen, einleiten, umlegen und abwickeln. Aber auch rummotzen, reinreiten, runterbrechen und zusammenkrachen. Anders gesagt: sie ist Managerin. Zumindest gewesen. Und jetzt ist ein neuer Auftrag da. Lukrativ ist der Auftrag schon, aber nicht leicht. Gar nicht leicht. Es ist ein verdammt schwerer Auftrag. Effizienzkompetenz und Motivierungsoptimierung helfen nun auch nicht mehr. Helfen kann nur noch dieses Programm. Und das wird sie dem werten Publikum fröhlich und verzweifelt um die Ohren hauen. Denn der Auftrag hat genau mit diesem Publikum zu tun. Also mit Ihnen. Und so werden Sie diesen Abend anders beenden, als Sie ihn begonnen haben. Ganz anders. Versprochen. Am 12. März 2026 um 20 Uhr und 15. März um 18 Uhr.



KONZERT MIT „ANGER“
„Bau a Stodt au über die Wolken gonz weit oben glei neben dir“ heißt das dritte Album des Brixner Popduos „Anger“. Es ist vielleicht ihr sanftestes, sensibelstes, fragilstes Werk. Es erzählt von Liebe, Natur und Tod. Ein Album an der Schnittstelle von Urban Pop und Liederabend. Zwischen Folk, Avantgarde, Akustik und Elektronik. Zwi-
schen oben und unten. Anger – das sind Julian Angerer und Nora Pider. Gemeinsam mit Fabian und Manuel Pichler bringen sie ihre neuen Songs im Quartett erstmals live nach Südtirol. Sie kehren zurück ins kleine Theater, dorthin wo Nähe zwischen Band und Publikum spürbar wird. Wo alles echt und handgemacht ist. Wo sie herkommen. Am 20. März um 20 Uhr.
CLOWNSHOW
Worüber wundert er sich bloß? Etwa über eine solche klitzekleine Kleinigkeit, wie es der Luftballon eine ist? Um dies zu verstehen, muss man wissen, dass der Clown in einer Situation steckt, wo jede Kleinigkeit zum großen Problem wird. Er soll nämlich an Stelle des verhinderten Direktors eine Vorstellung geben! Für Kinder! Also gut, er probiert’s. Aber ach! Sosehr er sich auch bemüht, die Hindernisse beginnen schon bei den alltäglichen Dingen und hören natürlich nicht auf, wenn es ungewöhnlicher und komplizierter wird. Wo ein Spazierstock schon solche Schwierigkeiten macht, was soll man da erst von einem Zauberstab erwarten?! Von Besen, Telefonen, Jonglierbällen, Stellwänden usw. ganz zu schweigen. Umso erstaunlicher, wenn am Ende wie zufällig doch ein paar Sachen gelingen. Gar nichts aber würde funktionieren ohne die Kinder. Sie belehren, protestieren, verbessern und lachen ihn aus, und sie lösen seine Schwierigkeiten. So wird aus dem Ganzen doch noch ein Clown-spektakel. Am 28. März um 16.30 Uhr.
THEATER-EIGENPRODUKTION ÜBER „KINDSMORD“
Wien, Graz, Klagenfurt, Bruneck... Beruhend auf einem wahren Fall hat Peter Turrinis 1973 uraufgeführter Monolog „Kindsmord“ nichts an Brisanz, Radikalität und Poesie eingebüßt: Eine junge Frau steht vor dem Gericht einer immer noch patriarchalisch strukturierten Gesellschaft und einer Welt der medial vermittelten Bilder, auf deren Wahrheitsgehalt sich niemand mehr verlassen kann. Eine Welt, die für einen schnellen K(l)ick gierig jedes Opfer ausschlachtet. Eine Welt, die für das letzte soziale Tabu kein anderes Zeichen hat, als die „Sinnesverwirrung“ – falls die Gründe für eine solche Tat überhaupt noch interessie-



ren. Immer wieder unterbrochen von den Kommentaren eines gesichtslosen Richters, bevormundenden Vaters und gefühllosen Ex-Partners, kämpft die Täterin um Selbstbestimmung und Gerechtigkeit in dem Bewusstsein, dass es kein richtiges Leben im falschen gibt.
Nicht der damals 30jährige Autor stellt die junge Frau unter Anklage. Er versucht, Licht in das Dunkel einer möglicherweise symptomatischen Seele zu bringen, jenseits der Wunschvorstellungen und Rollenklischees. Er stellt die unangenehmen Fragen, die gestellt werden müssen und gibt der Täterin Raum, sich zu erklären, verleiht ihre eine eigene Stimme: „Warum kann ich nicht sein, was ich sein will?“
Mit Violeta Maleo.
Regie führt Patrick Steinwidder. Am 10./15./17./19./22./23./25. und 26. April um 20 Uhr (sonntags um 18 Uhr).
KOPRODUKTION MIT DEM SCHAUSPIELHAUS SALZBURG
Zwei Herren begegnen sich im Wald. Beide sind Profifußballer bei Real Madrid –der eine spielt im Mittelfeld, der andere im Sturm. Auf dem Spielfeld sind sie nicht weit voneinander entfernt, aber weit genug, um sich noch nicht wirklich zu kennen. Doch diese erste Begegnung ist charmant, feinfühlig und vielversprechend. Die zwei finden sich sympathisch und kommen sich näher. Natürlich entgeht auch der Öffentlichkeit diese ungewöhnliche Beziehung nicht. Der junge Dramatiker Leo Meier kreiert mit seiner ersten Komödie eine Gegenwelt, die mit Rollenbildern bricht und mit feinem Humor eine Tabuthema behandelt – und das in der gnadenlosen Umgebung des Profifußballs als eine der männlichsten Sportarten, die es gibt.
Mit Olivier Günter, Ludwig Wendelin Weißenberger, Markus Weitschacher, Christiane Warnecke, Karoline Breschar Regie: Alexander Kratzer. Am 9./14./15./17./20./23./24. und 27. Mai um 20 Uhr (sonntags um 18 Uhr).
DER KABARETTABEND
In ihrem neuen Solo-Programm „volle Kontrolle“ erzählt Christine Eixenberger, wie es ist, nicht mehr solo zu sein. Die Beziehung ist stabil, der Wohnungsmangel auch, also zieht der Lebensgefährte bei ihr ein. Aus „Ich und Du“ wird ein „Wir“ – mit allen Konsequenzen. Aber auch das hat Chrissy voll unter Kontrolle. Na ja, fast. Mit unermüdlicher Tatkraft und Enthusiasmus trotzt sie nicht nur den kleinen Krisen in ihrem frischgebackenen Duo-Haushalt, sondern auch den großen dieser Welt, denn sie weiß: Das Große spiegelt sich im Kleinen. Und umgekehrt. Lieferkettenprobleme, Künstliche Intelligenz und Chipmangel? Begegnet die ausgebildete Grundschullehrerin mit robuster Handwerkerattitüde und einem Biotech-Labor im Kühlschrank.
Dabei stellt sie sich als philosophisch veranlagter Spross der Generation Y stets die Frage nach dem „Warum“: Warum ist eine Schwarze Null wichtiger als ein funktionierendes Bildungssystem? Warum schaffen es ausgerechnet die Österreicher und die Schweizer trotz topografischer Hindernisse ein funktionierendes Schienennetz zu betreiben? Und warum, verdammt noch mal, liegt am Esstisch noch ein Krümel vom Frühstück, obwohl es schon Nachmittag ist? In ihrem fünften Bühnenprogramm „Volle Kontrolle“ stellt sich die scharfzüngige Kabarettistin mit viel Humor in turbulenten Zeiten den Herausforderungen der fortgeschrittenen Paarwerdung - tiefgrün-
Die Sommertheaterworkshops Im Juli und August 2026 bietet das Stadttheater Bruneck wieder Theaterworkshops für Kinder und Jugendliche mit Ingrid Lechner und Fabian Mutschlechner an. Für Anmeldungen und Informationen: info@stadttheater.eu und Tel: 0474 772986. // jst
„FESTIVAL
DOLOMITES 2026“ IN TOBLACH
In Toblach finden wieder einmal Musik, Talent und der richtige Moment zusammen. Genau diesen „Glücksfällen“ widmet sich das „Festival Dolomites 2026“, das vom 14. bis 28. März erstmals im Vorfrühling im Gustav-Mahler-Saal in Toblach über die Bühne geht. Nach vielen erfolgreichen Sommerausgaben schlägt das Festival nun ein neues Kapitel auf und bereichert das Kulturleben im Pustertal und darüber hinaus mit frischen Impulsen.
Das abwechslungsreiche Programm verbindet Klassik, Crossover, Literatur und Jazz und bringt internationale Künstlerinnen und Künstler ebenso auf die Bühne wie vielversprechende junge Talente.
Den Auftakt am 14. März gestaltet das Evoque Quartet, bekannt für seine stilübergreifenden Klangwelten zwischen Klassik und Weltmusik. Am 15. März folgt ein hochkarätiger Orchesterabend mit der Geigerin Veronika Eberle, Dirigent Hossein Pishkar und dem Orchestra da Camera di Mantova mit Werken von Beethoven und Mendelssohn.






























Am 18. März stehen junge Preisträgerinnen und Preisträger des Wettbewerbs „Prima la musica 2026“ aus Süd-, Nord- und Osttirol im Mittelpunkt. Literatur und Musik verbinden sich am 21. März in einer besonderen Matinee: Texte aus Florian Illies’ Bestseller „1913“ treffen auf Klänge von Alexander Zemlinsky. Jugendliche Energie bringt am 22. März das Landesjugendorchester Südtirol auf die Bühne – gemeinsam mit dem renommierten Geiger Benjamin Schmid und unter der Leitung von Edwin Cáceres-Peñuela. Neben Werken großer Komponisten erklingt auch eine Uraufführung des Südtiroler Komponisten Mathias Schmidhammer. Das Abschlusswochenende steht ganz im Zeichen von „Jazz and more“: Am 27. März begeistert der österreichische Gitarrist Wolfgang Muthspiel mit einem Soloprogramm. Am 28. März folgen das Ensemble „K.K_Klang-Kabinett“ mit einem spannenden Dialog aus Jazz, Kirchen- und Volksmusik sowie das Sweet Alps Orchestra mit „Voyage“, einer musikalischen Reise zwischen Folklore und Jazz. Die künstlerische Leitung liegt in den Händen von Christoph Bösch (CH) und Josef Feichter. Mit seinem neuen Frühjahrstermin verspricht das „Festival Dolomites 2026“ besondere musikalische Begegnungen. Weitere Informationen gibt es unter www.festivaldolomites.it. // rewe


Eine besondere Auszeichnung für die Südtiroler Musikszene: Das Album „Poor Boy“ von Hubert Dorigatti und The Blues Harp Masters ist für den Blues Music Award 2026 in der Kategorie „International Blues Album“ nominiert. Damit steht ein Künstler aus Südtirol auf der internationalen Bühne eines der bedeutendsten Preise im Blues. Ab sofort kann abgestimmt werden.
Die Blues-Music-Awards werden von der Blues Foundation in Memphis (Tennessee) vergeben und gelten weltweit als höchste Ehrung im Blues-Genre. Seit Jahrzehnten zeichnen sie musikalische Qualität und kulturelle Bedeutung aus. Mit der aktuellen Nominierung reiht sich „Poor Boy“ unter die herausragenden Blues-Veröffentlichungen des Jahres ein – neben international bekannten Namen wie Buddy Guy oder Derek Trucks.


Das Album selbst ist eine kraftvolle Hommage an die Wurzeln des Blues. In neun Titeln verbindet Hubert Dorigatti traditionelle Klangfarben mit intensiver Spielfreude. Unterstützt wird er von sieben renommier-
ten Mundharmonika-Spielern, darunter Größen wie Charlie Musselwhite, Jason Ricci, Greg Zlap und Roly Platt. Das Ergebnis ist ein vielschichtiger Sound zwischen erdigem Delta-Blues, groovigen Roots-Elementen und virtuosen musikalischen Dialogen. Dorigatti, mehrfach ausgezeichneter Gitarrist und Gewinner der International Blues Challenge als bester italienischer Bluesmusiker, unterstreicht mit „Poor Boy“ einmal mehr seine tiefe Verbundenheit zur Blues-
Tradition und seine internationale Klasse. Die 47. Verleihung der Blues Music Awards findet am 7. Mai 2026 in Memphis statt. Die Nominierten werden dort live präsentiert –ein Treffpunkt für Blues-Fans und Musikschaffende aus aller Welt. Bereits jetzt können Mitglieder der Blues Foundation ihre Stimme abgeben. // bp
“Poor Boy“ von Hubert Dorigatti & The Blues Harp Masters für Blues Music Award 2026 nominiert
Eine außergewöhnliche Anerkennung für einen Künstler aus Südtirol: Das Album „Poor Boy“ von Hubert Dorigatti & The Blues Harp Masters wurde in der Kategorie *International Blues Album* für den *Blues Music Award 2026* nominiert – der wichtigste Preis, der weltweit im Blues vergeben wird.
Die *Blues Music Awards*, verliehen von der Blues Foundation mit Sitz in Memphis, Tennessee, gelten als die renommiertesten Auszeichnungen im Blues -Genre und werden seit Jahrzehnten als Maßstab für künstlerische Exzellenz und kulturelle Bedeutung angesehen.
Mit der Nominierung in der Kategorie *International Blues Album* zählt *Poor Boy”* zu den herausragenden Blues -Veröffentlichungen des Jahres und steht in illustren Gesellschaft mit internationalen Größen wie Buddy Guy, Derek Trucks, Honeybear, The Angelique Francis Band.
„Poor Boy“ ist ein musikalisch kraftvolles und zugleich traditionsbewusstes Werk, in dem Hubert Dorigatti neun Songs präsentiert, die tief in der Geschichte des Blues verwurzelt sind. Das Album vereint sieben herausragende Mundharmonika -Virtuosen darunte Legenden wie Charlie Musselwhite, Jason Ricci, Greg Zlap und Roly Platt und schafft so einen puren, intensiven Klangkosmos, der von rauem Delta-Blues über groovige Roots Elemente bis zu virtuosen Interaktionen reicht.

Dorigatti, selbst mehrfach ausgezeichneter Blues -Gitarrist und Gewinner der International Blues Challenge als bester italienischer Bluesmusiker, bringt mit diesem Album seine musikalische Vision ebenso wie seine Liebe zur traditionellen Blues -

Vor kurzem fand die Premiere des Theaterstücks „Die Welle“ im Parzivalsaal des Vinzentinums statt. Die Maturantinnen und Maturanten des Vinzentinums, die traditionell jedes Jahr statt eines Maturaballs ein Theater auf die Bühne bringen, entschieden sich heuer für ein fesselndes Stück über Macht und Manipulation, das zeigen soll, wie schnell man sich von Ideologien beeinflussen lassen kann.
Während die Maturanten hinter der Bühne angespannt, aber auch voller Vorfreude auf jenen Moment warteten, auf den sie sich schon seit Monaten mit Regisseur Gerd Weigel vorbereitet hatten, warteten vor der Bühne über 200 Premierengäste darauf, die diesjährige Inszenierung zu sehen. Trotz der Aufregung war die Aufführung ein voller Erfolg und unter tosendem Applaus freuten sich die Schülerinnen und Schüler




über die gelungene Darbietung. Die zahlreichen Ehrengäste wie Landesrätin Magdalena Amhof, Kammerabgeordnete Renate Gebhard, Brixens Bürgermeister Andreas Jungmann, Absolventenvereinsobmann Michael Oberhofer und der Präsident der Stiftung Vinzentinum pro futuro, Michael Seeber, zeigten sich tief beeindruckt von den schauspielerischen Leistungen und der beklemmenden Aktualität des Stücks. Nach der Aufführung wartete auf die Gäste eine Gulaschsuppe und an der Bar, betrieben von den anderen Klassen des Vinzentinums, konnte noch angestoßen und der Erfolg gefeiert werden. Ein Teil ihres Erlöses spendet die Maturaklasse auch heuer wieder an eine wohltätige Organisation. Die Schülerinnen und Schüler ent-
schieden sich für den Verein Momo, der die Palliativbetreuung von Kindern und Jugendlichen in Südtirol unterstützt. Nach dem Premierenwochenende werden die Maturantinnen und Maturanten noch acht weitere Male auf der Bühne stehen. Aufführungstermine und Reservierungen unter +39 376 029 4616 bzw. theater@vinzentinum. it oder auf der Website www.vinzentinum.it/ theater. // hw



Die Maturaklasse hat im Februar mit ihrem Musical „Exqueens“ das Publikum begeistert und schon steht das nächste Musikprojekt des Sozialwissenschaftlichen Gymnasiums Bruneck an. Die dritte und vierte Klasse des Musikzuges haben den Stoff von „Peter Pan“ bearbeitet, eine eigene Geschichte geschrieben, passende Songs gesucht und umgetextet. Wendy und ihre Schwestern fliegen mit Peter Pan auf die Insel „Nimmerland“, wo die verlorenen Kinder ohne Regeln in den Tag leben, wo die Piratinnen mit Kapitänin Hook dem Peter Pan das Leben schwer machen. Dann mischen auch noch die Insulanerinnen mit, die das Kindermädchen und den Elfen Timobell entführen. Und das Krokodil taucht auch noch auf.

Die fast 40 Darstellerinnen und Darsteller versprechen ein mitreißendes Musical mit einer spannenden Geschichte, abwechslungsreicher Musik und coolen Tänzen. Die Kostüme dazu hat Elena Widmann mit den Schülerinnen und Schülern entworfen und fabriziert, die Choreographie liegt in den Händen der Tänzerin und ehemali-

gen Schülerin Mirjam Plank. Die musikalische Leitung haben Maria E. Brunner und Simon Mittermair, beide u.a. Leiter von Männerchören. Inszeniert wird das Musical von Toni Taschler. Das Bühnenbild hat Thomas
Reichegger mit drei Kunstklassen entworfen und umgesetzt. Allerorten staunt man, wie niveauvoll die Musikprojekte des SOWI Brunecks sind, welche Talente jedes Jahr zu entdecken sind. // pez
Die Aufführungen finden in der Aula des SOWI-Gymnasiums, Paul-Tschurtschenthaler-Platz 4, in Bruneck statt. Premiere ist am Freitag, 20. März 2026 um 20 Uhr. Reservierung online über sowikunstgymbruneck.it ab dem 9. März 2026. Restkarten gibt es an der Abendkasse. Eintritt: 16 Euro - ermäßigt: 8 Euro (Schülerinnen, Schüler, Studentinnen und Studenten)
DIE TERMINE:
Freitag, 20. März 2026 - 20 Uhr - Premiere
Samstag, 21. März - 11 Uhr
Sonntag, 22. März - 15 Uhr
Mittwoch, 25. März - 18 Uhr
Freitag, 27. März - 16 Uhr und 20 Uhr
Samstag, 28. März - 11 Uhr und 15 Uhr
Sonntag, 29. März - 14 Uhr und 18 Uhr //

Die Klasse 3bS (SOWI Bruneck). Von links, hintere Reihe: Lena Hofer, Tabea Hofer, Heidi Lamprecht, Leonie Niederkofler, Tina Plaickner, Nadine Reichegger, Linda Brugger, Reinhard Weger; von links, mittlere Reihe: Romy Brugger, Teresa Bürgstaller, Clara Cimbri, Julia Gruber, Ilvy Fuchsbrugger, Eva Hilber; von links, vordere Reihe: Matilde Bellani, Sofia Canali, Carmen Hanni, Laura Stravino, Sara Niederwolfsgruber und Michaela Stocker.
DIGITALE MEDIEN IM FOKUS - TEIL 3
Aus einem Unterrichtsvorhaben wurde ein umfassendes Medienprojekt mit greifbaren Resultaten: Die Klasse 3bS des SOWI-Gymnasiums Bruneck hat sich intensiv mit journalistischem Schreiben auseinandergesetzt und ihre Arbeiten in mehreren Ausgaben der Pustertaler Zeitung veröffentlicht. Begleitet wurde das Projekt von Chefredakteur Reinhard Weger, der den Schülerinnen Einblick in redaktionelle Abläufe und journalistische Praxis gab. Mit dem gegenständigen Artikel wird das Projekt mit den letzten Beiträgen der Schülerinnen sowie der Zusammenfassung der wichtigsten Themenbereiche abgeschlossen.
In klar strukturierten Arbeitsgruppen organisiert, arbeitete die Klasse wie eine echte Redaktion. Ein eigenes Redaktionskomitee koordinierte Inhalte und Termine. Parallel dazu kümmerte sich ein Team um Fotografie, Einverständniserklärungen und visuelle Gestaltung, während eine weitere Gruppe das Layout analysierte und an das Erscheinungsbild der Zeitung anpasste. So entstand Schritt für Schritt ein professionell aufbereitetes Gesamtprojekt.
Inhaltlich stand das Thema „Digitale Medien im Schulalltag“ im Mittelpunkt. Die Schülerinnen führten Interviews mit Lehrpersonen, befragten Schüler verschiedener Oberschu-

Einige der Schülerinnen in der Grafikabteilung mit PZ-Mitarbeiter Andreas Rauchegger. rewe
len und werteten eine umfangreiche Umfrage mit rund 400 Teilnehmenden aus. Die erhobenen Daten zeigten ein differenziertes Bild: Digitale Geräte werden vielfach als hilfreich für Organisation, Recherche und Textarbeit empfunden, gleichzeitig nannten viele Befragte Ablenkung, Konzentrationsprobleme und praktische Schwierigkeiten
wie leere Akkus oder vergessene Geräte als Herausforderungen.
WICHTIGE SCHWERPUNKTE
Ein weiterer Schwerpunkt war das seit diesem Schuljahr geltende Handyverbot am SOWI Bruneck. Die Diskussionen machten deutlich, dass das Verbot von einem Teil der
Schüler als sinnvoll für mehr Ruhe im Unterricht betrachtet wird, während andere eher klare Regeln und Medienkompetenz statt pauschaler Verbote fordern. Auch der Einsatz von künstlicher Intelligenz wurde beleuchtet. Programme wie ChatGPT werden bereits genutzt, um Inhalte zusammenzufassen oder Texte zu strukturieren. Gleichzeitig wiesen die Beiträge auf Risiken hin, etwa eine zu starke Abhängigkeit oder das unkritische Übernehmen von Informationen. Ergänzend beschäftigten sich die Schülerinnen mit gesundheitlichen Aspekten wie erhöhter Bildschirmzeit, Schlafproblemen und Stress, aber auch mit Themen wie Cybermobbing, Datenschutz und der raschen Verbreitung von Falschinformationen in sozialen Netzwerken. Die Artikel zeigten dabei stets beide Seiten und verzichteten auf einfache Schwarz-Weiß-Zeichnungen. Mit der Veröffentlichung ihrer Texte ab Februar 2026 in der Pustertaler Zeitung und zusätzlichen Beiträgen auf Radio Holiday erhiel-
von Ilvy Fuchsbrugger und Nadine Reichegger
Für unsere Umfrage haben wir Lehrkräfte aus verschiedenen Bereichen befragt. Wir wollten wissen, was sie von digitalen Geräten im Unterricht halten. Befragt wurden Lehrerinnen und Lehrer in der SOWI Bruneck sowie in der TFO Bruneck.
Viele Lehrkräfte finden, dass digitale Geräte im Unterricht sinnvoll sein können. Schülerinnen und Schüler lernen dadurch, im Internet zu recherchieren und mit verschiedenen Programmen zu arbeiten. Andere Lehrkräfte sehen das jedoch kritischer. Sie meinen, dass wichtige Fähigkeiten wie das Schreiben mit der Hand dadurch weniger geübt werden.







Sie standen hingegen dem Radio-Moderator Rede und Antwort. rewe
ten die Schülerinnen die Möglichkeit, ihre Arbeit einer breiten Öffentlichkeit vorzustellen. Das Projekt hat nicht nur journalistische Kompetenzen gestärkt, sondern auch gezeigt, wie lebendig Unterricht sein kann, wenn Theorie, Praxis und aktuelle gesellschaftliche Fragen miteinander verknüpft werden. // bp
Auch bei der Frage, wie hilfreich Tablets und Laptops im Unterricht sind, gehen die Meinungen auseinander. Manche Lehrkräfte arbeiten gerne damit und finden sie praktisch. Andere sagen, dass digitale Geräte oft ablenken und die Konzentration im Unterricht stören können.
KLARE REGELN SIND WICHTIG
Viele Lehrkräfte nutzen selbst digitale Programme, zum Beispiel für Präsentationen oder Übungen. Besonders in sprachlichen Fächern oder bei Referaten kommen Tablets und Laptops häufiger zum Einsatz. In anderen Fächern werden sie eher selten verwendet. An beiden Schulen gibt es klare Regeln. Digitale Geräte dürfen im Unterricht grundsätzlich verwendet werden, außer die Lehrkraft verlangt etwas anderes. Bei Tests, Prüfungen oder in bestimmten Stunden sind Tablets und Laptops jedoch nicht erlaubt. //




Die Sprachenzentren arbeiten sprachgruppen- und bildungstufenübergreifend und unterstützen die örtlichen Kindergärten und Schulen bei der Förderung und Begleitung von Kindern und Jugendlichen mit anderen Erstsprachen als den Landessprachen. Sie vermitteln und finanzieren interkulturelle Mediatorinnen und Mediatoren, die Kindergärten und Schulen bei der Kommunikation mit den Familien unterstützen. Im vergangenen Jahr 2025 wurden insgesamt 3.550 Stunden interkulturelle Mediation durchgeführt. Das geht aus dem aktuellen Jahresbericht hervor. Diese Netzwerkkurse ermöglichen eine intensive Sprachförderung in der Kleingruppe und bieten den Schülerinnen und Schülern gleichzeitig auch die Möglichkeit, in einem Klassenverband mit Gleichaltrigen in Sprache, Gesellschaft und Kultur hineinzuwachsen.
NETZWERKPROJEKTE UND FORTBILDUNG SIND WICHTIG
Außerdem werden von den Sprachenzentren Netzwerkprojekte zwischen Kindergärten und Grundschulen begleitet, in denen Kinder und Eltern am Übergang vom Kin-
dergarten in die Schule sprachliche, emotionale und organisatorische Unterstützung erhalten. Ein wesentliches Arbeitsfeld der Sprachenzentren ist die Beratungs- und Fortbildungstätigkeit. Die Beratung richtet sich zum einen an das Personal der Kindergärten und Schulen, zum anderen auch an Familien sowie die Kinder und Jugendlichen selbst. Im vergangenen Jahr wurden in 2231 Stunden 11.406 Personen in der Beratung erreicht.
AUSBILDUNGS- UND BERUFSBERATUNG

Die Schülerzahlen bestätigen, dass sprachliche und kulturelle Vielfalt in den meisten Kindergärten und Schulen gegeben ist. Die Gesamtanzahl der Kinder und Jugendlichen mit Migrationshintergrund in den Kindergärten und Schulen bleibt jedoch seit 2019 weitgehend gleich. In deutschsprachigen Kindergärten und Schulen haben 9,4 Prozent der Kinder und Jugendlichen eine ausländische Staatsbürgerschaft, in den italienischsprachigen 24,3 Prozent, in den ladinischsprachigen 6,8 Prozent. // mac
Welche Oberschule soll ich nach der Mittelschule besuchen? Wo kann ich ein bestimmtes Fach studieren? Welcher Beruf wäre der richtige für mich? Welche Möglichkeiten der Neuorientierung gibt es für Erwachsene? Fragen wie diese hört man im Amt für Ausbildungsund Berufsberatung vielfach.
Insgesamt 14.300 Personen sind im Jahr 2025 im Kontakt mit den Mitarbeiterinnen und Mitarbeitern des Amtes gewesen. Diese haben landesweit 5.689 Beratungsgespräche in über 12.000 Beratungsstunden durchgeführt. Bei 41 Prozent der ratsuchenden Jugendlichen und Erwachsenen kamen diagnostische Tests zum Einsatz, bei denen Interessen, Fähigkeiten und Persönlichkeitsmerkmale analysiert wurden, um dadurch passende Ausbildungs-, Studien- oder Berufsfelder zu identifizieren. Auch an zahlreichen Schulen war das Amt präsent und konnte damit zahlreiche Schülerinnen und Schüler direkt erreichen.
„Das Amt leistete 2025 einen bedeutenden Beitrag zur Bildungs- und Berufsorientierung und stärkte seine Rolle als zentrale Anlaufstelle für Jugendliche, Eltern und Schu-

Die Ausbildungs- und Berufsberatung spielt eine wichtige Rolle auch im gesamten Pustertal.
len“, betont Landesrat Philipp Achammer. 2025 entstanden zudem zahlreiche neue Informationsmaterialien, darunter eine Broschüre in leichter Sprache, eine italienische Elternbroschüre, schulbezogene Orientierungshilfen (Scegli il tuo futuro, Wegweiser) sowie mehrsprachige Videos zum Bildungssystem. Eine wichtige Veranstaltung war auch die Bildungsmesse Futurum, die federführend vom Amt organisiert wurde.
Dabei informierten sich 10.500 Besucherinnen und Besucher bei einem der Stände der Schulen, Hochschulen, Beratungsstellen sowie Jugendorganisationen über das bestehende Aus- und Weiterbildungsangebot im In- und Ausland. Weitere Informationen zum Angebot des Amtes für Ausbildungs- und Berufsberatung gibt es online unter https://berufsberatung-studieninfo. provinz.bz.it/de/home. // ck
Gratisschätzung und Begutachtung
Hotel Spangla
Ahrntalerstr. 23, 39032 Sand in Taufers
Mo. 16. März - 10-19 Uhr
Hotel Lamm
Neustadt 16, 39049 Sterzing
Di. 17. - Mi. 18. März
Di. und Mi.: 10-19 Uhr

Das Auktionshaus hat Zweigstellen in Deutschland, Italien (Südtirol) und in der Schweiz. Bei uns erhalten Sie kostenlose und unverbindliche Schätzungen. Wir halten uns immer an den aktuellen Tageskurs und bieten Ihnen auch eine höhere Auszahlung , wenn wir Ihre Gegenstände weiterbearbeiten bzw. weiterverkaufen können. Das Südtiroler Auktionshaus ist der richtige Partner dafür!
Seit über 10 Jahren gibt es das Südtiroler Auktionshaus in Meran. Seitdem konnte sich das Auktionshaus mit Unternehmensleiter Jaime Stevens als seriöser und zuverlässiger Händler für den An- und Verkauf von Schmuckwaren wie auch mit dem Handel von Bildern und Antiquitäten sowie antiken Silberwaren etablieren. Seit Jahrzehnten ist das Unternehmen führend in Europa in Sachen Schmuck, Gemälde, Uhren und Antiquitäten. Der Ankauf von Gold und Goldschmuck wird in einer unserer Filialen abgewickelt.

Frühlingserwachen in Montiggl


Die Antholzer Berge glühen für Olympia




Sonnenuntergang im Oberwielenbacher „Talile“
Oswald Huber

Wintermorgen
Alfons Hopfgartner aus Mühlwald

Kapelle am Kreuzbergpass
Roman Engl

Amaryllis in Vollblüte
Rosmarie Mitterrutzner aus Innichen
Mein schönstes


Richtung Marmolada...
Walter Plazza aus St. Vigil

Lilie - St. Lorenzen
Sarah Unterberger aus St. Lorenzen
Liebe Leserinnen und Leser, schickt uns Eure schönsten, lustigsten, überraschendsten und/oder atemberaubendsten Bilder –wir zeigen sie dem Pustertal!
Zusendungen an:
E-Mail: info@pz-media.it oder PZ, Oberragen 18, 39031 Bruneck
Wichtig: Bitte geben Sie Ihren Namen, ihren Wohnort und das Kennwort „Leserfoto“ an!
Die PZ behält sich das Recht vor, Inhalte und Fotos aus ethischen und anderen Gründen abzulehnen.
Vom 14. März bis 6. April 2026 steht das Zentrum von Innichen ganz im Zeichen einer besonderen Osteraktion. Unter dem Motto „Ei Ei Eiersuche“ wird im gesamten Ortskern zur größten Ostereiersuche der Dolomiten eingeladen.
In zahlreichen Schaufenstern der Innichner Geschäfte werden rote Ostereier versteckt. Besucher sind aufgerufen, bei einem Rundgang durch die Fußgängerzone genau hinzusehen und die Gesamtzahl der Eier zu ermitteln. Die Aktion verbindet einen Ortsbummel mit einem spielerischen Element und richtet sich gleichermaßen an Einheimische wie an Gäste. Während Kinder mit Eifer auf die Suche gehen, nutzen viele Erwachsene die Gelegenheit, das vielfältige Angebot der Fachgeschäfte, Cafés und Feinkostläden zu entdecken.
Innichen bietet dafür einen passenden Rahmen. Das Dorf im Herzen der Dolomiten zeichnet sich durch kurze Wege, eine lebendige Fußgängerzone und die unmittelbare Nähe zur Natur aus. Einkaufsmöglichkeiten, gastronomische Betriebe und kulturelle Einrichtungen liegen nah beieinander und prägen das Ortsbild.

Die Ostereiersuche fügt sich in einen abwechslungsreichen Veranstaltungskalender ein, der das ganze Jahr über unterschiedliche Akzente setzt. Neben saisonalen Aktionen im Frühling und Winter zählen auch kulturelle Veranstaltungen und sportliche Angebote zum festen Bestandteil des Dorflebens. Einrichtungen wie das Erlebnisbad

Acquafun oder das nahegelegene Skigebiet „3 Zinnen Dolomiten“ am Haunold erweitern das Freizeitangebot zusätzlich. Mit der Ostereiersuche setzt Innichen einen weiteren Impuls zur Belebung des Ortszentrums und lädt dazu ein, das Dorf in frühlingshafter Atmosphäre neu zu entdecken. Also auf nach Innichen! // rewe
Finanzierung mit Rückenwind: Chancen für Südtiroler Unternehmen
1. Welche Förderungen gibt es aktuell für Unternehmen in Südtirol?
Unternehmen können auf eine Reihe von Förderinstrumenten zurückgreifen. Dazu zählen öffentliche Förderprogramme, zinsbegünstigte Kredite, Leasinglösungen sowie nachhaltige Finanzierungen.
2. Was ist der Sabatini-Kredit? Der Sabatini-Kredit ist eine staatlich geförderte Finanzierung für Investitionen in Maschinen, Anlagen und digitale Technologien. Die Förderung erfolgt in Form eines zinsbegünstigten Darlehens oder Leasings. Der Begünstigte erhält dabei einen Zinszuschuss, der die Finanzierungskosten senkt.
3. Wie funktioniert Leasing?
Leasing ermöglicht, Investitionen flexibel zu nutzen, ohne das gesamte Kapital sofort aufzubringen. Es schont die Liquidität, bietet steuerliche Vorteile und erlaubt technologische Flexibilität.
4. Was bedeutet eine Staatsgarantie?
Über den zentralen Garantiefonds des Staates können Kredite teilweise abgesichert werden. Das reduziert das Risiko für Banken und erleichtert besonders kleinen und mittleren Unternehmen (KMU) den Zugang zu Liquidität und Investitionskrediten.
5. Was sind ESG-Finanzierungen?
Diese Kredite fördern gezielt ökologische und nachhaltige Projekte, z. B. Energieeffizienz, erneuerbare Energien oder nachhaltige Produktionsprozesse. Unternehmen profitieren von günstigeren Konditionen. Fazit?
Beratungsstellen, Finanzinstitute und Förderplattformen unterstützen bei der Programmauswahl und Antragstellung, damit Investitionen effizient und nachhaltig umgesetzt werden können. So erhalten Unternehmen gezielte Unterstützung für ihre Weiterentwicklung.

KOMPETENZ IM WANDEL MIT „HD-SYSTEM“
Heinz D’Angelo steht seit vielen Jahren für Kompetenz, Verlässlichkeit und konsequente Weiterentwicklung. Als Gründer von HD System – Safety and Construction Management in Bozen unterstützt er als ausgewiesener Experte Unternehmen unterschiedlichster Branchen im Bereich Arbeitssicherheit.
Sein Anspruch ist klar definiert: gesetzliche Vorgaben rechtssicher umsetzen, Risiken systematisch minimieren und wirtschaftliche wie juristische Konsequenzen vorausschauend vermeiden. Dabei setzt er auf praxisnahe Lösungen, individuelle Beratung und höchste Qualitätsstandards.

Doch D’Angelo versteht Erfolg nicht als Stillstand. Kontinuierliche Weiterbildung prägt seinen beruflichen Weg. Neben seiner unternehmerischen Tätigkeit hat er sich akademisch breit aufgestellt – von der Jurisprudenz über das Bauingenieurwesen bis hin zu weiteren fachlichen Spezialisierungen.
Fachliche Tiefe und interdisziplinäres Denken bilden die Basis seines Handelns.
WILLKOMMEN
Seit 24. Februar 2026 präsentiert sich das Portal der öffentlichen Dienste „myCivis“ im neuen Kleid und mit neuen Funktionen. Der Zugang zu Informationen und Diensten soll für die Bürgerinnen und Bürger damit noch leichter werden.
Das neue „myCivis“ ist mehr als ein reines Schaufenster der Dienste der öffentlichen Verwaltung: Mit der Einführung der künstlichen Intelligenz wird das Portal zum digitalen Lotsen, der nicht nur an Fälligkeiten erinnert, sondern seine Nutzer und Nutzerinnen kennt, Empfehlungen unterbreitet, die Suche nach Diensten unterstützt und die Abwicklung von Verfahren erleichtert. Entwickelt wurde das neue „myCivis“ im Rahmen der Digitalisierungsoffensive, welche die Abteilung Informatik des Landes Südtirol mit Geldern aus dem staatlichen Wiederaufbaufonds PNRR vorantreibt. Das neu gestaltete Portal fußt auf einem modernen Citizen Relationship Management, das die Bürger und Bürgerinnen in den Mittelpunkt stellt. Diese können sich mit ihren
Ein besonders bemerkenswerter Schritt ist sein aktuelles Studium der Humanmedizin. Mit über 50 Jahren stellte er sich erneut einem anspruchsvollen Auswahlverfahren und setzte sich gegen rund 400 Bewerber durch. Als Fünftplatzierter gehört er zu den 30 zugelassenen Studierenden seiner Kohorte und ist zugleich deren ältestes Mitglied. Dieser Erfolg unterstreicht seine Disziplin, Leistungsbereitschaft und Zielorientierung. Das Studium ist fordernd aufgebaut, teils in Präsenz, teils als strukturiertes Fernstudium, ergänzt durch ein 13-wöchiges Pflichtpraktikum. Im Anschluss besteht die Möglichkeit einer Promotion. Ob er diesen Weg weiterverfolgt, lässt D’Angelo bewusst offen – für ihn steht die fachliche Erweiterung im Vordergrund.

Laborpraktikum
Sein besonderes Interesse gilt der Arbeitsmedizin. Hier verbindet sich medizinisches Wissen mit seiner langjährigen Erfahrung im Bereich Arbeitssicherheit. An der Schnittstelle von Prävention, Gesundheit und betrieblicher Organisation entstehen neue Perspektiven für ganzheitliche Sicherheits- und Gesundheitskonzepte. Heinz D’Angelo steht damit für unternehmerische Weitsicht und lebenslanges Lernen. Sein Werdegang zeigt: Weiterentwicklung ist keine Frage des Alters, sondern der Haltung. // PR-Info

Fragen zunächst an einen digitalen Assistenten wenden, der Auskunft gibt und bei der Suche nach Informationen hilft. Gibt es weiteren Informationsbedarf, stehen zusätzliche Optionen für die Kontaktaufnahme bereit: über Telefon oder Kurznachricht bis hin zum Videoanruf oder der Möglichkeit, einen Termin mit dem zuständigen Amt zu vereinbaren. Wer bei der Nutzung der digitalen Dienste Hilfe braucht, kann sich an einen der Digi-Points wenden, die es mittlerweile in vielen Gemeinden Südtirols gibt. Dort bietet geschultes Fachpersonal kostenlos Unterstützung an. Den größten Mehrwert bietet das Portal im persönlichen Nutzerbereich. Dort gibt es eine Reihe neuer Funktionen, wie etwa die Akti-
vierung personalisierter Hinweise. Jede Anfrage erzeugt zudem ein Ticket – die Bürgeranfrage geht somit nicht verloren und bleibt nachvollziehbar. Mit klarem Design und einfacher Sprache macht „myCivis“ den Zugang zu öffentlichen Diensten somit schnell, intuitiv und unkompliziert. // PR-Info

BETREUTE DER WERKSTÄTTEN DER BEZIRKSGEMEINSCHAFT
Am zehnten Februar 2026 fand in der Nordic-Arena in Toblach das jährliche Rodelrennen der Betreuten der teilstationären Strukturen der Bezirksgemeinschaft Pustertal statt. Knapp 100 Betreute der Werkstätten haben sich gemeinsam mit den Betreuerteams auf nach Toblach gemacht, um dort ein spannendes und vor allem Spaß bringendes RodelWettrennen zu bestreiten. Angetreten wurde wie immer in vier verschiedenen Kategorien. Ein gemeinsames Mittagessen mit anschließender Preisverteilung, Tanz und Musik machten den Tag für alle Beteiligten zu einem sehr gelungenen Erlebnis. Ein besonderer Dank geht an Hans Kirchler,



Robert Schwärzer und Margareth Festini Kromer, welche als Freiwillige die Veranstaltung unterstützten und mit großem Engagement dabei waren. Ein besonders herzliches Dankeschön geht abschließend an das gesamte Team des Sozialzentrums Toblach für die einwandfreie Organisation der Veranstaltung und an alle Beteiligten
fürs Mitmachen. „Es war für uns alle sehr schön, in Zeiten von Olympia, auch bei uns eine „kleine Olympiade“ feiern zu können“, zeigt sich der Direktor der Sozialdienst, Patrick Psenner, zufrieden. Zufrieden waren auch alle Betreuten aus den Strukturen und fiebern jetzt schon dem Rodelrennen 2027 entgegen. // ph


DER WEG IST DAS ZIEL
Die beiden aus Rom stammenden Karate-Meister Maurizio Paradisi und Giuseppe Carloni kamen zu einem zweitägigen Lehrgang zu Karate Mühlbach. Sie gingen dort auf den Kern des Karate-Stils „Wado Ryu“ ein.
„Wado Ryu“ ist der Karate-Stil, der in Mühlbach praktiziert wird, und bedeutet „Weg des Friedens“ bzw. „Weg der Harmonie“. Die beiden Karate-Meister Maurizio Paradisi und Giuseppe Carloni sind die Verantwortlichen dieses Karate-Stils in Italien und gehören zum WadoKai, dem offiziellen Verband, bei dem Wado Ryu praktiziert wird. Die Karate-Meister haben auf beeindruckende Weise die Grundprinzipien des Wado Ryu erklärt: Kein überflüssiger Kraftaufwand (Muda Na Chikara), keine überflüssige Bewegung (Muda Na Dosa) und keine falsche und überflüssige Technik (Muda Na Waza). Gleichzeitig wurden die Grundsätze des Wado Ryu Schritt für Schritt eingeübt. Kurzum geht es im Wado Ryu um das Prinzip des geringsten Aufwandes bei maximaler Effizienz. Wado Ryu wirkt nicht entgegen der Kraft des Gegners, sondern nützt diese aus, indem sie zum eigenen Vorteil genützt wird.

Giuseppe Carolin beim Lehrgang.
Wie die Pustertaler Zeitung in einer ihrer früheren Ausgaben berichtet hat, ist bei Karate Mühlbach die Entscheidung getroffen worden, dass man sich seit dieser Karate-Saison an die Richtlinien des WadoKai ausrichtet. „Vieles galt es umzustellen, gar manches neu zu lernen – nicht einfach, aber zielführend“, so Trainer Martin Pezzei. Dieser Lehrgang hat vor allem dazu gedient, all das, was in den vergangenen Monaten geübt und gelernt wurde, von herausragenden Karate-Meistern unter die Lupe nehmen zu lassen. Der Lehrgang hat dabei gezeigt, dass die Praxis nicht nur ein gnadenloser Richter, sondern auch ein geduldiger Lehrmeister ist. „Wir haben erkannt, wo wir nachbessern müssen, gleichzeitig aber auch erfahren dürfen, auf dem richtigen Weg zu sein“, so Pezzei. // pez

Zwei Wochen lang haben sich die kanadischen Curling-Nationalteams im Curling-Landesleistungszentrum in der Intercable-Arena von Bruneck vorbereitet.
Betreut wurden sie dabei vom ASC Curling Südtirol. Auf dem Eis von Cortina haben die kanadischen Teams ihren Olympiaeinsatz schließlich mit zwei Medaillen gekrönt. Die Freude ist überall groß.
Bronze gab es für die Frauen, die sich im kleinen Finale gegen die Vereinigten Staaten behaupten konnten. Noch erfolgreicher waren die Männer, die sich gegen Großbritannien die Goldmedaille holten. Der sportliche Direktor David Murdoch bedankte sich bei den Südtirolern mit den Worten: „Ein Teil dieser Medaillen gehört euch“.
Der ASC Curling Südtirol hofft, durch diese Erfolge, noch mehr Südtiroler Jugendliche dem Curling Sport zuführen zu können. Die Olympischen Spiele stehen für mehr als sportliche Höchstleistungen. Sie vermitteln Werte wie Fairness, Respekt, Disziplin und Teamgeist. Für junge Menschen können sie deshalb ein starkes Vorbild sein.

Das kanadische Frauen-Team holte bei Olympia die Bronze-Medaille. Die Freude ist überall groß.
Olympia inspiriert Jugendliche, an ihre Ziele zu glauben, Verantwortung zu übernehmen und niemals aufzugeben. Der olympische Gedanke „Dabei sein ist alles“ erinnert daran, dass Einsatz und Leidenschaft oft wichtiger sind als der Sieg.
Obwohl die Spiele zu Ende gegangen sind, lebt nun der paralympische Traum im Curling-Center weiter. Seit dem 25. Februar 2026 wird sich dort nämlich die Paralympische

Das kanadische Männer-Team sicherte sich hingegen nach hartem Kampf sogar die Goldmedaille.
WINTER BBQ- UND KCBS-CONTEST 2026 IN MÜHLWALD
Am 7. und 8. März 2026 wird Mühlwald zur Bühne für internationale Grillkunst. Beim Winter-BBQ- und KCBS-Contest treffen eisige Temperaturen auf glühende Smoker. Die Weltelite der Pitmaster misst sich im renommierten Wettbewerb der Kansas City Barbeque Society, der als „Champions League“ des Barbecues gilt.
Im Mittelpunkt steht die Kunst des „Low & Slow“: Fleisch wird über Stunden bei niedriger Hitze gegart, bis es besonders zart und aromatisch ist. Neben den klassischen Wettbewerbsdisziplinen gibt es heuer auch eigene Kategorien für Ribs und Chicken, an
denen sich erstmals auch ambitionierte Hobbygriller beteiligen können.
Begleitet wird das Event von einem abwechslungsreichen Rahmenprogramm mit Slope-Food-Festival, Livemusik, Show-Grilling und Angeboten für Familien. Bereits im Vorfeld laden acht Gastronomiebetriebe im Rahmen des „BBQ-Valley“ zu einer Grill-Spezialitätenwoche.
Mannschaft Kanadas auf ihre Bewerbe vorbereiten, die seit gestern und bis zum 14. März in Cortina d’Ampezzo stattfinden. Viele Sportlerinnen und Sportler haben schwere Schicksalsschläge erlebt – etwa Unfälle, Krankheiten oder angeborene Behinderungen. Doch anstatt aufzugeben, kämpfen sie sich zurück ins Leben und in den Sport. Die Paralympics stehen deshalb nicht nur für sportliche Höchstleistungen, sondern auch für Mut, Durchhaltevermögen und Lebenswillen. Der kanadische Skip Mark Ideson hat bereits an den Winter-Paralympics 2014 in Sotschi teilgenommen und die Goldmedaille gewonnen. Im Jahr 2007 stürzte der Hubschrauber, den er steuerte, in der Nähe von Cambridge, Ontario, ab. Seitdem ist er querschnittsgelähmt. // ht
STEFAN WAGGER
Beim Halbmarathon in Neapel am 22. Februar 2026 mit 8.000 Teilnehmenden waren aus Südtirol auch Stefan Wagger aus Bruneck und Hannes Niederkofler aus Olang mit dabei. Beide boten eine starke Leistung. Wagger, der für den SSV Bruneck läuft, unterbot sogar wieder seine Bestmarke. Mit einer Zeit von 1:10:18 belegte er den überaus guten 32. Rang. Niederkofler kam knapp vier Minuten später als 53. ins Ziel. Gut gemacht und weiter so! // Reinhard Weger

Zudem wird wieder für den Verein „Debra“ gesammelt, der Familien von Schmetterlingskindern unterstützt. Damit verbindet die Veranstaltung einmal mehr Genuss, Wettbewerb und Solidarität auf besondere Weise. // rewe Stefan Wagger (links) und Hannes Niederkofler.
KARATE BRUNECK
Am Wochenende Ende Jänner 2026 fand in Rom der große Preise von Lazio statt. Es war einer der Höhepunkte der Wettkampfsaison für Braun- und Schwarzgurte mit rund 1.000 Teilnehmenden aus ganz Italien. Für den Wadokan Karate Bruneck haben die beiden Athleten Mirjam und Kevin teilgenommen, mit einmal Gold und zweimal Bronze war diese wahrlich von Erfolg gekrönt.
Am Samstag fanden die Wettbewerbe in der Disziplin Kata (Form) statt. Hierbei nahm Mirjam teil und zeigte eine wirklich beeindruckende Performance. Sie konnte in der


ersten Runde die maximale Punktezahl erzielen, und dann sowohl Semifinale als auch Finale für sich entscheiden. Damit war der oberste Podestplatz für sie reserviert.
Am Sonntag folgten dann die Wettkämpfe im Kumite (Zweikampf), bei denen auch Kevin teil-

nahm. Mirjam machte den Auftakt, konnte die ersten beiden Kämpfe für sich entscheiden, und verpasste erst mit dem dritten Kampf knapp den Einzug ins Finale, was in Summe die Drittplatzierung bedeutete. Kevin, der am Nachmittag an der Reihe war, musste sich letztlich in einem sehr intensiven Kampf dem am Ende Erstplatzierten geschlagen geben, konnte in Summe jedoch ebenfalls Bronze holen. Beide Athleten konnten sich so in der jeweiligen Kategorie der Junioren (gekämpft wird getrennt nach Altersgruppe, Geschlecht und Gewicht) auf nationaler Ebene Podestplätze sichern. Ein wirklich toller Erfolg also für die teilnehmenden Athleten und den gesamten SSV Karate Bruneck. Diese Erfolge sind auch ein Ansporn für alle Nachwuchsathleten. // ar

Mit großer Freude und aufrichtiger Wertschätzung gratuliert die Firma Euroclima aus Bruneck Dominik Fischnaller zu seinen herausragenden Erfolgen. Am 8. Februar 2026 sicherte er sich auf der neu errichteten Eugenio-Monti-Bahn in Cortina d’Ampezzo im Einsitzerbewerb des Kunstbahnrodelns erneut die Bronzemedaille – nach seinem Erfolg bei den Olympischen Winterspielen Peking 2022 ist es bereits seine zweite olympische Medaille. Gemeinsam mit seinem Team gewann er außerdem in der Teamstaffel eine weitere Bronzemedaille, was seine Vielseitigkeit und Teamfähigkeit eindrucksvoll unterstreicht. Diese Leistungen erfüllen uns mit großem Stolz und Bewunderung. Die konstant starke Performance in allen Durchgängen zeigt Dominiks außergewöhnliche Professionalität, seine mentale Stärke und seine technische Präzision auf höchstem internationalem Niveau. Er hat einmal mehr bewiesen, dass Erfolge auf Disziplin, Leidenschaft und unermüdlichem Einsatz basieren.

Als stolzer Sponsor seines Helms ist es für die Firma Euroclima eine besondere Ehre, Dominik auf seinem sportlichen Weg begleiten zu dürfen. Seine Entschlossenheit, seine Bodenständigkeit und sein konsequentes Streben nach Spitzenleistung spiegeln Werte wider, die auch unser tägliches Handeln als Unternehmen prägen. Im Namen des gesamten Euroclima-Teams gratulieren wir herzlich zu diesen großartigen Leistungen.
Dominik Fischnaller gewinnt seine zweite Olympiamedaille im Rodel-Einsitzer sowie eine weitere Bronzemedaille im Teambewerb.
Herzlichen Glückwunsch!







Bei schweren Essstörungen: Ab ins Krankenhaus!



Im Februar fand an der WFO Bruneck erneut die Projektwoche zur Gesundheitserziehung statt. Bereits vor zehn Jahren wurde diese abwechslungsreiche Unterrichtswoche an der Schule eingerichtet, worin es vor allem darum geht, in verschiedensten Unterrichtsmodulen bedeutende Handlungskompetenzen zu vermitteln wie zu fördern und für eine Woche bewusst den Fokus auf die physische und psychische Gesundheit der Schüler/-innen zu richten.

Dr. med. dent.
Cornelia Überbacher M.Sc.
Zahnarztpraxis/studio dentistico
Hintergasse 6, Bruneck | Tel. 0474 646 518 info@zahnarztpraxis-ueberbacher.it www.zahnarztpraxis-ueberbacher.it
Mit viel Einsatz und Engagement organisiert die Arbeitsgruppe rund um ihrer Koordinatorin Veronica Brignoli seit jeher ein vielseitiges und abwechslungsreiches Programm, welches die unmittelbare Lebenswelt und -realität der Schüler/-innen berührt. So konnten die Schülerinnen und Schüler verschiedenste Module wie Yoga, Qigong, Karate, Fitness aber auch Module zur Achtsamkeit und zu Entspannungstechniken besuchen, um einmal mehr die physische wie psychische Gesundheit zu stärken und den Teilnehmenden alternative Möglichkeiten zur Stressreduktion zu vermitteln. Sehr wichtig ist es der Arbeitsgruppe alljährlich auch, präventiv mit den SchülerInnen zu
arbeiten, gerade in den Bereichen der Drogenprävention und der Spielsucht. Die Thematisierung von Vorsorgemaßnahmen wurde auch auf den Bereich einer gesunden Ernährung hin ausgedehnt, besonders interessierten die Einheiten „Ernährung-eine Frage des Etiketts“ und „Gesundes Kochen“. „Beim Kochen hat mir besonders gefallen, dass man einmal die Möglichkeit hatte, sehr praktisch zu arbeiten, dass man auch sehr selbstständig nach eigenen Ideen arbeiten konnte und viele Inputs für eine gesunde Ernährung mit nach Hause nehmen konnte.“, so eine Schülerin.
„Das überaus positive Feedback der Schülerinnen und Schüler zu dieser Gesundheitswoche motiviert uns als Arbeitsgruppe und die daran beteiligte Lehrpersonen sehr, auch für das kommende Schuljahr wieder eine solche Projektwoche zu organisieren“, so die Koordinatorin V. Brignoli, Lehrperson für Italienisch an der WFO Bruneck. // kn
Vorsorge, Potenzprobleme, Fertilitätsprobleme, Prostata-, Nieren-, Blasenleiden, ambulante Operationen
TERMINE NACH TELEFONISCHER VEREINBARUNG
TEL. 0474 497063 | MOBIL 339 6953738
39031 Bruneck- Kapuzinerplatz 9 www.drgasser.it




Mit standardisiertem Holunderbeerenextrakt aus Südtirol (ElderCraft®)
* Mit Vitamin D, Zink, Selen für eine normale Funktion des Immunsystems. ° Vitamin B12 und Vitamin C tragen zu einem normalen Energiestoffwechsel bei und verringern Müdigkeit und Ermüdung. Nahrungsergänzungsmittel auf Basis von Holunder, Vitaminen, Mineralien und Postbiotika.



BRIXSANA
Reichhaltige Festmenüs und ruhige Abende machen den Winter zu einer kalorienreichen Zeit mit wenig Bewegung. Manchmal ist dies sichtlich erkennbar und körperlich spürbar, doch es gibt auch Risiken, die weder auf der Waage noch im Spiegel erscheinen: Sie verbergen sich unter der Haut und können nur durch medizinische Untersuchungen festgestellt werden.
Umfassender GesundheitsCheck-up im Frühling
Klarheit durch moderne Diagnostik
Risiken durch moderne Diagnostik frühzeitig erkennen
• internistischer Check-up
• kardiologischer Check-up
• urologischer Check-up
• Venen-Check-up
• Komplett-Check-up
Prävention ist die beste Behandlung.
Wir sind für Sie da: Besuchen Sie uns für Ihren persönlichen Check-up.
Kurze Wartezeiten garantiert. Immer erreichbar | T 0472 824 800 |
// PR-Info
Das Frühjahr ist der ideale Zeitpunkt, um die Körperfunktionen umfassend zu untersuchen. Die Brixsana bietet neben den Komplettpaketen auch spezifische Check-ups an. Der kardiologische Check-up ist unerlässlich für alle, die wieder aktiver werden wollen: Blutdruck, Ruhe- und Belastungs-EKG sowie ein Herzultraschall liefern ein umfassendes Bild über den Zustand des Organs und eine Einschätzung des Herz-Kreislauf-Risikos. Der urologische Checkup prüft Harnwege und Nieren; bei Männern auch die Prostata und die Geschlechtsorgane. Der Venen-Check ist eine nicht-invasive Untersuchung der Beingefäße, die verschiedene Erkrankungen wie Krampfadern und die dafür am besten geeignete Behandlung feststellt. Ohne akute Beschwerden empfiehlt sich der internistische Check-up: Ultraschall und Laboranalysen bewerten den Zustand von Herz, Halsschlagader, Bauchraum, Lunge und Schilddrüse. Dank Check-ups kann die Notwendigkeit vertiefter Facharztvisiten eingeschätzt werden. Als Vorsorge stellen sie die Weichen für ein vitales Jahr.
IST VERTRAUENSSACHE Urologie für jede Lebensphase
Wenn’s passiert T 0472 824 800 www.brixsana.it


Viele urologische Erkrankungen – wie Prostatakrebs oder Blasenerkrankungen –verursachen lange Zeit keine Beschwerden. Umso wichtiger ist eine regelmäßige Vorsorgeuntersuchung, besonders ab dem 45.Lebensjahr. Ein kurzer Termin kann langfristig den Unterschied machen.
DR. HERBERT GRUNSER deckt das gesamte Spektrum der Urologie und Andrologie ab. Von Vorsorgeuntersuchungen bis zu akut auftretenden urologischen Beschwerden –Dr. Grunser stellt die Diagnose und behandelt die vorliegende Pathologie. Er kann dabei auf jahrzehntelange Erfahrung im klinischen Bereich zurückgreifen.

Vormerkungen unter: info@brixsana.it 0472 824800
Kontakt Dr. Grunser: herbert.grunser@brixsana.it 0472 824844 www.urologiegrunser.it
Wenn’s passiert T 0472 824 800 www.brixsana.it

Schmerzen, Verspannungen, Geburtsvorbereitung? Mithilfe der jahrtausendalten Methode der Akupunktur werden Nervenpunkte im Körper stimuliert und verschiedene Krankheiten therapiert. Das Ziel ist, die Krankheit an Ihrem Ursprung zu behandeln.
Schmerzen, Verspannungen, Geburtsvorbereitung? Mithilfe der jahrtausendalten Methode der Akupunktur werden Nervenpunkte im Körper stimuliert und verschiedene Krankheiten therapiert. Das Ziel ist, die Krankheit an Ihrem Ursprung zu behandeln.
Schmerzen, Verspannungen, Geburtsvorbereitung?
Besonders bewährt hat sich die Akupunktur bei:
- Schmerzen aller Art (Kopfschmerzen, Migräne)
Besonders bewährt hat sich die Akupunktur bei:
- Nacken- und Rückenschmerzen
- Schmerzen aller Art (Kopfschmerzen, Migräne)
- Muskelverspannungen
- Nacken- und Rückenschmerzen
Mithilfe der jahrtausendalten Methode der Akupunktur werden Nervenpunkte im Körper stimuliert und verschiedene Krankheiten therapiert. Das Ziel ist, die Krankheit an Ihrem Ursprung zu behandeln.
- Sportverletzungen
- Muskelverspannungen
- Heilungsprozesse nach Operationen verbessern
- Sportverletzungen
Besonders bewährt hat sich die Akupunktur bei:
- Allergien
- Heilungsprozesse nach Operationen verbessern Allergien
- Schmerzen aller Art (Kopfschmerzen, Migräne)
- Wechseljahrbeschwerden
- Nacken- und Rückenschmerzen
- Schlafstörungen
- Geburtsvorbereitung
- Wechseljahrbeschwerden Schlafstörungen
- Muskelverspannungen
- Rauchentwöhnung
- Geburtsvorbereitung
- Sportverletzungen
- Rauchentwöhnung
Dr. Marie-Theres Girtler nimmt sich viel Zeit für Sie, um nach ausführlicher Anamnese und Diagnostik ein individuelles Therapiekonzept zu erstellen.
- Heilungsprozesse nach Operationen verbessern
- Allergien
Dr. Marie-Theres Girtler nimmt sich viel Zeit für Sie, um nach ausführlicher Anamnese und Diagnostik ein individuelles Therapiekonzept zu erstellen.
- Wechseljahrbeschwerden
- Schlafstörungen
- Geburtsvorbereitung


- Rauchentwöhnung
Ihr
BRIXSANA Ihr Gesundheitszentrum
Dr. Marie-Theres Girtler
Dr. Marie-Theres Girtler
Dr. Marie-Theres Girtler nimmt sich viel Zeit für Sie, um nach ausführlicher Anamnese und Diagnostik ein individuelles Therapiekonzept zu erstellen.


Mit zunehmendem Alter verändert sich nicht nur die Sehstärke, auch das Risiko für Augenerkrankungen wie Grauer Star, Grüner Star oder Makuladegeneration steigt. Regelmäßige Vorsorgeuntersuchungen helfen, Veränderungen frühzeitig zu erkennen und Sehschwächen effektiv zu behandeln.
Als erfahrener Augenarzt bietet Prof. Bernhard Steger an der Brixsana Private Clinic moderne Diagnostik, individuelle Vorsorge und innovative Linsenchirurgie. Dabei lassen sich sowohl Altersweitsichtigkeit als auch andere Sehfehler korrigieren – für scharfes Sehen in der Nähe und Ferne, oft ganz ohne Brille.
Ihre Vorteile:
• Umfassende Vorsorge und Früherkennung von Augenerkrankungen
• Modernste, schonende Linsenoperationen
• Mehr Lebensqualität durch klare Sicht
Vereinbaren Sie noch heute Ihren Vorsorgetermin.
BRIXSANA

Gesundheitszentrum für das ganze Pustertal.

Priv -Doz. Dr. Bernhard Steger 0472 824 883 www.augenchirurg.it www.brixsana.it

PROF. DR. ALEXANDER GARDETTO
Warum es in Ordnung ist, der Natur ein wenig nachzuhelfen!
Kennst du diesen Moment vor dem Spiegel?
Dieser eine Augenblick, kurz bevor du dich anziehst. Du drehst dich, checkst die Lage, ziehst den Bauch ein oder hebst kurz die Brust an. „Was wäre, wenn…“ denkst du dir. Und dann winkst du ab, ziehst den Oversized-Pulli drüber und startest in den Tag. Aber der Gedanke bleibt. Er nagt nicht, aber er klopft an. Leise, aber stetig.
Wir leben in einer Zeit, in der Self-Care mehr ist als nur ein grüner Smoothie am Morgen. Es geht darum, sich in der eigenen Haut nicht nur wohlzufühlen, sondern sie zu feiern. Und manchmal, seien wir ehrlich, passt das Innenleben einfach nicht ganz zur Außenfassade. Du fühlst dich wie 25, voller Energie und Power, aber der Spiegel zeigt dir müde Augenlider, die eher nach drei Nächten Durchfeiern aussehen, obwohl du um zehn im Bett warst. Oder du wünschst dir seit Jahren dieses feminine „Mehr“ im Dekolleté, das dir Mutter Natur einfach verwehrt.

Es ist Zeit, das Stigma abzulegen. Es ist nichts Verwerfliches daran, das Beste aus sich herauszuholen. Ganz im Gegenteil: Es ist verdammt lässig, zu seinen Wünschen zu stehen. Wir nehmen dich heute mit auf eine Reise durch die moderne Ästhetik. Nicht die steife, weiße Krankenhaus-Atmosphäre, sondern die coole, moderne Art, sich selbst ein Upgrade zu verpassen. Unser Fokus? Dein Selbstbewusstsein. Unsere Highlights? Die perfekte Brust, ein wacher Blick und ein paar High-Tech-Tricks für zwischendurch.
DIE BRUSTVERGRÖSSERUNG –
FÜR EINE SILHOUETTE, DIE DICH STRAHLEN LÄSST
Die Brust ist Symbol für Weiblichkeit, Sinnlichkeit und – ja, auch das – Selbstbewusstsein. Aber kaum ein Körperteil ist so sehr Diskussionsthema. Zu klein, zu groß, zu hängend, zu asymmetrisch. Besonders wenn nach einer Schwangerschaft, starker Gewichtsabnahme oder einfach durch die Genetik das Volumen fehlt, leidet oft das Körpergefühl. Der BH wird zum Mogel-Instrument, der Bikini zum Stressfaktor. Das muss nicht sein.
Eine Brustvergrößerung ist heute kein Tabu mehr. Moderne Ästhetik bedeutet: Natürlichkeit. Das Ziel ist nicht, dass jeder sieht, dass du eine gemachte Brust hast. Das Ziel ist, dass jeder denkt: „Wow, hat die eine tolle Figur!“ und du dir denkst: „Endlich passt es.“
• Die Implantate der neuesten Generation sind kleine Wunderwerke der Technik. Sie sind auslaufsicher, fühlen sich täuschend echt an und passen sich deinen Bewegungen an. Ob runde Implantate für ein pralles Dekolleté (der sogenannte „Push-up-Effekt“ ohne BH) oder anatomische, tropfenförmige Formen, die den natürlichen Schwung der Brust nachahmen – alles ist möglich. Die Beratung ist hier der Schlüssel. Gemeinsam wird geschaut: Was passt zu deinem Körper? Was passt zu deiner Schulterbreite? Ein seriöser Eingriff respektiert deine Proportionen. Es geht um Balance, nicht um Ballons.

• Viele haben Angst vor der OP. Klar, es ist ein chirurgischer Eingriff, und Respekt davor ist gesund. Aber die Techniken sind mittlerweile so verfeinert, dass die Erholungszeit oft kürzer ist, als du denkst. Der Schnitt wird so unauffällig wie möglich gesetzt – oft in der Unterbrustfalte, wo er später kaum sichtbar ist. Die Platzierung des Implantats (ob über oder unter dem Muskel) wird individuell entschieden, um das weichste und natürlichste Ergebnis zu erzielen. Und das Gefühl danach? Unbeschreiblich. Der erste Einkauf für neue Dessous macht plötzlich Spaß. Das Sommerkleid sitzt ohne Zupfen. Du läufst aufrechter, nicht nur wegen des neuen Gewichts, sondern wegen des Stolzes. Es ist eine Investition in dein tägliches Wohlbefinden.
DER BLICKFANG: OBERLIDSTRAFFUNG –
DEIN „HALLO-WACH“-EFFEKT
Kennst du das? Du bist topfit, hast gut geschlafen, triffst Freunde und die erste Frage ist: „Geht‘s dir gut? Du siehst so müde aus.“
Der Übeltäter ist oft nicht der Schlafmangel, sondern überschüssige Haut am Oberlid. Schlupflider lassen uns nicht nur älter wirken, sondern drücken im wahrsten Sinne auf die Stimmung – und manchmal sogar auf das Sichtfeld. Der Blick wirkt schwer, traurig oder erschöpft, obwohl du innerlich strahlst.
Die Oberlidstraffung ist der heimliche Star unter den ästhetischen Korrekturen. Warum? Weil sie mit der entsprechenden Erfahrung relativ simpel ist, aber das Gesicht komplett verändert – im positiven Sinne.
• Kleiner Schnitt, große Wirkung: Hier wird nicht das Gesicht verzerrt oder die Mimik eingefroren. Es geht lediglich darum, die überschüssige Haut zu entfernen, die den Blick „dachartig“ verdecken. Der Eingriff erfolgt ambulant, unter lokaler Betäubung.

Das Ergebnis ist phänomenal: Die Augen wirken sofort größer, offener und strahlender. Du siehst nicht „gemacht“ aus, sondern einfach unglaublich erholt. Make-up hält wieder am Lid und verschmiert nicht in der Falte. Es ist ein Fresh-up, das dir Jahre schenkt, ohne dass du deine Charakterzüge verlierst.
DIE SCHNELLEN HELFER: HIGH-TECH OHNE OP Nicht immer muss es gleich der OP-Saal sein. Manchmal stören nur kleine Details, die man gerne in der Mittagspause erledigen würde. Und genau hier kommt die moderne Technologie ins Spiel.
1. Fokussierter Ultraschall (HIFU) – Lifting ohne Skalpell Stell dir vor, du könntest deine Haut straffen, während du entspannt liegst, ohne dass auch nur ein Tropfen Blut fließt. HIFU nutzt gebündelte Ultraschallwellen, die tief in die Hautschichten eindringen. Dort erzeugen sie Wärme und regen die körpereigene Kollagenproduktion massiv an. Der Clou: Die Oberfläche der Haut bleibt völlig unversehrt. In den Wochen nach der Behandlung beginnt die Haut, sich von innen heraus zu straffen. Ideal für das Gesicht und den Hals.
2. Kryolipolyse – Fett einfach wegfrieren Sport ist super, Ernährung ist wichtig. Aber wir alle haben diese eine Stelle. Dieses kleine Pölsterchen, das absolut resistent gegen jedes Workout ist. Bei der Kryolipolyse wird das Gewebe angesaugt und kontrolliert heruntergekühlt. Die Fettzellen kristallisieren und sterben ab. Dein Körper baut diese Zellen dann in den nächsten Wochen ganz natürlich über den Stoffwechsel ab. Body-Contouring für Smarte.
3. CryoPen – Der Präzisions-Laser aus Eis Altersflecken, kleine Pigmentstörungen – sie sind nicht schlimm, aber sie stören das glatte Hautbild. Der CryoPen arbeitet mit extremem Hochdruck-Kältestrahl. Millimetergenau. Ein kurzes „Zisch“, ein bisschen Kälte, und der Prozess der Erneuerung ist angestoßen.
EIN WEG ZU DIR SELBST
Ob es nun die große Veränderung durch eine Brustvergrößerung ist, der frische Blick durch die Lidstraffung oder das Feintuning mit Ultraschall und Kälte – am Ende geht es nur um eines: Dass du dich anschaust und sagst: „Ja, das bin ich.“ Schönheit hat heute nichts mehr mit Eitelkeit zu tun, sondern mit Selbstfürsorge. Es ist fetzig, sich Wünsche zu erfüllen. Es ist lässig, zu wissen, was machbar ist. Und es ist dein gutes Recht, dich in deiner Haut grandios zu fühlen.
// Prof. Dr. Alexander Gardetto
„Mein Ziel ist, an Ihrer Schönheit zu feilen und ihre Natürlichkeit zu bewahren“
PROF. DR. ALEXANDER GARDETTO

UNSER BEHANDLUNGSSPEKTRUM Plastische, Rekonstruktive und Ästhetische Chirurgie
WIEDERHERSTELLUNGSCHIRURGIE:
» Handchirurgie » Brustchirurgie
» Bauchstraffung » Tumorchirurgie
» Gesichtschirurgie
ÄSTHETISCHE MEDIZIN:
» Botox und Hyaluronsäure
» Regenerative Medizin (Stammzellentherapie)
» Eigenbluttherapie (PRP)
» Behandlung der Pigmentflecken (Vereisung)
» HIFU (fokalisierte Ultraschalltherapie für das Gesicht und den Hals)
» Kältetherapie (Kryolipolyse) für lästige Fettpölsterchen
ZENTRUM FÜR BIONISCHE REKONSTRUKTION
Brixsana Privatklinik
Julius-Durst-Straße 28 I-39042 Brixen / Südtirol Tel. +39 0472 824 855
PLASTISCHE ÄSTHETISCHE & HAND CHIRURGIE
plastische.chirurgie@brixsana.it
www.gardetto.it
Die Praxis wurde Anfang 2016 gegründet und befindet sich in der Brixsana Private Clinic, in welcher Dr. Doz. Gardetto auch Sanitätsdirektor ist.
Die Brixsana Private Clinic ist eine Kombination aus Ärztehaus
BEI SCHWEREN ESSSTÖRUNGEN
Essstörungen zählen zu den tödlichsten psychischen Erkrankungen überhaupt. Besonders dramatisch wird die Lage, wenn der BodyMass-Index unter die Schwelle von 13 fällt: In diesem Bereich gerät der Körper in einen akuten Notzustand, lebenswichtige Organe sind massiv gefährdet, Herzrhythmusstörungen, Kreislaufversagen und irreversible Organschäden drohen. Ab diesem Punkt ist Nichtstun keine Option mehr.
Italien hat darauf mit klaren gesetzlichen Vorgaben reagiert: Patientinnen und Patienten mit einem BMI von 12 oder darunter müssen unverzüglich stationär aufgenommen werden – notfalls auch gegen ihren erklärten Willen. Diese Regelung ist Teil des staatlich vorgegebenen Behandlungspfads für schwere Essstörungen, des sogenannten „Percorso Lilla“. Ziel ist es, Leben zu retten und Langzeitschäden zu verhindern.
Ab Dezember 2025 wird dieser Behandlungspfad auch in Südtirol verpflichtend umgesetzt. Damit schließt sich das Land jenen Regionen an, die den Schutz von Menschen mit schweren Essstörungen konsequent in den Mittelpunkt stellen.
Der Hintergrund ist klar: In fortgeschrittenen Krankheitsstadien ist die Fähigkeit zur realistischen Selbsteinschätzung oft stark eingeschränkt. Viele Betroffene können nicht mehr selbst über ihre Behandlung entscheiden. Die stationäre Aufnahme dient daher nicht nur der medizinischen Stabilisierung, sondern schafft erstmals Zugang zu einer strukturierten, multidisziplinären Therapie – der einzigen realistischen Chance auf nachhaltige Genesung.

Magersucht
Esssucht
Ausgewogene Ernährung
Anorexie
BMI
Übergewicht
Selbstwahrnehmung
Diätpillen Verdauungprobleme
Essattacken Bulimie Übermaß Analyse
GROSSER HANDLUNGSDRUCK
Wie groß der Handlungsdruck ist, zeigen die Zahlen aus Südtirol eindrücklich. Allein im Jahr 2023 wurden Patientinnen und Patienten mit extrem schweren Essstörungen 123 mal stationär aufgenommen. Insgesamt fielen dabei 4.443 Krankenhaustage an. Den größten Anteil trugen psychiatrische, psychosomatische und kinderpsychiatrische Abteilungen mit 72 Aufenthalten und 2.858 Tagen, gefolgt von

BESSER HÖREN
Weiter auf Seite 58 >>
Hörveränderungen entwickeln sich meist schleichend und bleiben lange unbemerkt – dabei spielt gutes Hören eine wichtige Rolle für Gesundheit und Lebensqualität. Gespräche mit Familie und Freunden, Geräusche der Natur oder gemeinsame Erlebnisse werden erst durch ein gutes Hörvermögen wirklich bewusst wahrgenommen. Häufig wird erst reagiert, wenn das Verstehen anstrengender wird oder man sich zunehmend aus Gesprächen zurückzieht.
Ein kostenloser Hörtest bietet die Möglichkeit, das eigene Hörvermögen einfach und unverbindlich zu überprüfen. Dabei steht nicht nur die Technik im Mittelpunkt, sondern vor allem eine persönliche Beratung, die sich an den individuellen Bedürfnissen orientiert. Frühzeitig zu handeln kann helfen, Unsicherheiten zu vermeiden und das Hören langfristig zu unterstützen.
Besser Hören begleitet Menschen in ganz Südtirol mit Erfahrung und Einfühlungsvermögen rund um das Thema Hören. Neben Terminen in den Hörzentren gehören auch kostenlose Hausbesuche zum festen Service. Sie ermöglichen eine Betreuung im vertrauten Umfeld – besonders für Personen, denen ein Besuch vor Ort schwerfällt oder die sich eine ruhige Beratung zu Hause wünschen. Ziel ist es, gemeinsam Lösungen zu finden, die das Hören im Alltag wieder natürlicher und entspannter machen. // PR-Info
Innovative Verfahren für natürliche Proportionen - kurze Erholungszeit und medizinische Präzision.
Viele Frauen wünschen sich eine harmonische Veränderung der Brust – dezent, natürlich und im Einklang mit ihrer individuellen Körperform. Moderne minimal-invasive Techniken ermöglichen heute eine Volumenanpassung ohne den klassischen operativen Zugang. Im Vordergrund steht eine ausgewogene, proportionierte Veränderung – nicht eine sichtbare Transformation.
Priv. Doz. Dr. med. Lorenz Larcher ist der erste zertifizierte plastische Chirurg in Italien, der diese Methode anwendet.
FÜR WEN EIGNET SICH DIE MODERNE BRUSTHARMONISIERUNG?
Die Methode richtet sich an Frauen, die sich eine moderate Volumenanpassung oder Formkorrektur wünschen, ohne eine ausgeprägte Vergrößerung anzustreben. Sie eignet sich insbesondere bei leichtem Volumenverlust nach Schwangerschaft, Gewichtsschwankungen oder altersbedingten Veränderungen. Die Planung erfolgt individuell nach einer medizinischen Analyse und persönlicher Beratung mit 3D-Simulation des möglichen Ergebnisses.
DER MEDIZINISCHE ANSATZ
Das Verfahren basiert auf einer präzisen, minimal-invasiven Technik unter Anwendung moderner, hoch entwickelter Instrumente. Der Eingriff erfolgt in der Regel ambulant.
Durch das schonende Vorgehen bleibt die Belastung für das Gewebe reduziert. Die Erholungszeit ist meist kurz.
Ziel ist ein natürlich wirkendes Ergebnis mit harmonischer Integration in die bestehende Körperproportion. Eine individuelle Beratung bildet die Grundlage jeder Behandlung.
TECHNISCHER ABLAUF DES EINGRIFFS
Phase 1: Kleine Inzision
Über einen kleinen Zugang in der Achselfalte wird der operative Zugang geschaffen. Damit ist keine sichtbare Narbe an der Brust zu verzeichnen.
Phase 2: Präzise Vorbereitung des Implantatlagers
Mit speziell entwickelten Instrumenten wird ein exakter Raum für




die Einbringung der Prothese vorbereitet, ohne das Brustgewebe unnötig zu belasten.
Phase 3: Schonende Platzierung des Implantats
Das Implantat wird über das entwickelte Instrument präzise in die vorbereitete Position eingebracht –zwischen Muskel und Brustdrüse.
Weitere Informationen zur Behandlung und persönlichen Beratung finden Sie hier. // PR-Info



Kinderabteilungen mit 39 Aufnahmen und 1.391 Tagen. Auch internistische Abteilungen waren betroffen, mit acht Aufnahmen und 109 Aufenthaltstagen.
Regional betrachtet sticht der Bezirk Brixen deutlich hervor: 70 Krankenhausaufenthalte und 3.067 Behandlungstage entfielen auf diesen Bezirk. Hier sind sowohl die Koordinationszentrale des Netzwerks für Essstörungen (Eatnet) als auch das Exzellenzzentrum für Minderjährige angesiedelt. Es folgen der Bezirk Bozen mit 22 Aufnahmen und 735 Tagen, Meran mit 17 Aufnahmen und 187 Tagen sowie Bruneck mit fünf Aufenthalten und 64 Tagen. Zusätzlich mussten drei Patientinnen an die Universitätsklinik Innsbruck überwiesen werden, wo sie insgesamt 226 Tage verbrachten.
Diese Zahlen stehen für Menschen, deren Leben akut bedroht war. Sie zeigen unmissverständlich: Schwere Essstörungen sind kein Randphänomen, sondern eine reale Belastung für das Gesundheitssystem – und vor allem eine existenzielle Gefahr für die Betroffenen.
Nach Todesfällen infolge von Anorexie wurde am Krankenhaus Meran eine Arbeitsgruppe einberufen, die unter Leitung des Sanitätsdirektors ein gemeinsames Vorgehen für alle Krankenhäuser Südtirols erarbeitet hat. Ein Jahr lang wurde an verbindlichen Standards gearbeitet, die mit allen beteiligten Abteilungen abgestimmt werden. Zentrale Festlegung: Ein BMI unter 13 ist ein absoluter Aufnahmegrund. Während diese Regelungen in Bozen und Meran bereits etabliert sind, müssen sie in den übrigen Krankenhäusern noch umgesetzt und erprobt werden.
Das erklärte Ziel ist eindeutig: Niemand soll mehr an einer Anorexie sterben, weil sich Abteilungen weigern, Verantwortung zu übernehmen. Zwei Todesfälle in Südtirol sind zwei zu viel. Die verpflichtende stationäre Aufnahme bei extrem niedrigem BMI ist kein Eingriff gegen die Betroffenen – sie ist ein Akt des Schutzes. Der „Percorso Lilla“ kann Leben retten. Die Zahlen zeigen: Er wird dringend gebraucht.

// Roger Pycha Koordinator des Netzwerks für Essstörungen (Eatnet)
Manchmal ist ein chirurgischer Eingriff erforderlich. In diesem Fall ist es ratsam, sich einem Spezialisten in einer sicheren Umgebung anzuvertrauen. Der Operationssaal der Praxis von Dr. Villani erfüllt die strengsten provinziellen und nationalen Anforderungen. Die moderne technische Ausstattung sowie das qualifizierte Fachpersonal ermöglichen es, die mit verschiedenen chirurgischen Eingriffen verbundenen Risiken auf ein Minimum zu reduzieren.
Die chirurgische Entfernung eines Weisheitszahns, der Knochenaufbau im Oberkiefer sowie das Einsetzen eines Zahnimplantats sind Eingriffe, die in technologisch fortschrittlichen, sicheren sowie per-
fekt hygienisierten Räumlichkeiten durchgeführt werden müssen, um ein gutes Ergebnis zu gewährleisten. Man sollte keine Scheu haben, einen Termin zu vereinbaren – auch nicht, um eine Zweitmeinung einzuholen. Alles wird ausführlich erläutert, ohne jede Verpflichtung, eine Therapie durchführen zu lassen. Wenn es um einen chirurgischen Eingriff geht, ist es immer besser, sich an einen anerkannten Spezialisten zu wenden. Auch ästhetische Aspekte spielen eine zunehmend wichtige Rolle. Verfahren wie Zahnaufhellung (Bleaching), Veneers und unsichtbare Zahnkorrekturen ermöglichen es, zusammen mit den Faltenkorrekturen nicht nur die Funktion, sondern auch die Ästhetik des Gesichts zu optimieren. // PR-Info


Zahnspangen / Ortodonzia Zahnimplantate / Implantologia dentaria Kiefergelenkstherapie / Articolazione temporomandibolare Mund- und Kieferchirurgie / Chirurgia orale e maxillo-facciale Ästhetik / Estetica
„NUANCE AUDIO HÖRBRILLE“ VON OPTIC RAPID
Die Innovation aus dem Hause „EssilorLuxottica“ ist Sehhilfe und Hörgerät in einem. Das Interesse im Pustertal ist groß, bei Optic Rapid gibt es aktuell einen Rabatt von 30 Prozent auf die Modelle.

„Das Produkt ist eine echte Innovation auf dem Markt, die wirklich einen großen funktionalen Nutzen hat. Viele Nutzer sind begeistert“, so Gert Mair, Inhaber von Optic Rapid. Die Hörbrille schlägt zwei Fliegen mit einer Klappe, indem sie nebst Sehhilfe auch eine diskrete Lösung bei leichten bis mittelschweren Hörproblemen bietet. Sie steht einer klassischen, hochwertigen Sehbrille in Design und Qualität in nichts nach: Das geringe Gewicht macht sie optimal für den ständigen Gebrauch. Es gibt sie in zwei Fassungsformen und in den drei Farben Schwarz, Blau und Bordeaux. Das schlichte Design passt sich jedem Stil ausnahmslos an. Außerdem ist sie auch mit selbsttönenden TransitionsGen-S-Gläsern erhältlich. Ein personalisiertes Etui mit Tuch und ein Ladepad zum vollständigen Laden in ca. drei Stunden sind inklusive. Der große, aber feine und unsichtbare Unterschied besteht in winzig kleinen Mikrofonen und Lautsprechern, welche in die Brillenbügel eingebaut sind und es überflüssig machen, dass ein Hörgerät im Ohr platziert wird. Genau genommen handelt es sich dabei um Richtmikrofone und Richtlautsprecher der letzten Generation, welche entweder die Geräusche der Umgebung allgemein oder nur gezielt gesprochene Worte des direkten Gegenübers verstärken – je nachdem, welche Einstellungen der Träger vornimmt. Vor allem in lauten Umgebungen wie
Restaurants, Büros oder auf Feiern stören die Hintergrundgeräusche, die im Verhältnis zu gesprochenen Worten viel zu laut sind. Wer eine Hörbrille trägt, kann sie mit wenigen Klicks in einer eigenen HandyApp nahezu ausblenden. Auch die Lautstärke und das Ein- und Ausschalten lassen sich darüber regeln. Als Alternative zur App dient eine Fernbedienung zur Steuerung, die separat erhältlich ist.
VORSORGE IST WICHTIG
„Wir hätten nicht gedacht, dass so viele Personen Interesse, aber auch Bedarf haben“, erklärt Mair. „Es liegt großteils sicher am Produkt, dass die Hörbrille so gut ankommt, andererseits aber auch an unseren Experten. In all unseren Filialen steht jemand für sämtliche Fragen rund um die Hörbrille zur Verfügung. Das Team von Optic Rapid ist wie gewohnt da, wenn man Hilfe benötigt.“
Laut Schätzungen sind ca. 85.000 bis 100.000 Südtiroler leicht bis mittelschwer hörgeschädigt, aber nur etwa jeder Vierte davon nutzt ein Hörgerät. Der Verlust des Hörvermögens fällt im Gegensatz zum Rückgang des Sehvermögens wenig auf: Geräusche werden einfach nicht mehr gehört, das nimmt man nicht so bewusst wahr wie verschwommene Konturen. Die Verschlechterung passiert außerdem schleichend. Für die Lebensqualität ist auch dieser Sinn unerlässlich, denn er ermöglicht soziale Teilhabe. Fehlt er, drohen soziale Isolation, psychische Probleme und sogar ein höheres Demenzrisiko. Die jährlich empfohlene Sehprüfung ab dem 50. Lebensjahr sollte also durch eine Hörprüfung ergänzt werden. Wenn der Befund Maßnahmen erforderlich macht: Das Gute ist, dass es heutzutage moderne Lösungen wie die Hörbrille gibt – aktuell bei Optic Rapid zum Sonderpreis. // PR-Info






Die Bezirksgemeinschaft Pustertal hat im Herbst 2025 unter Nutzerinnen und Nutzern sowie unter den Mitarbeiterinnen und Mitarbeitern eine umfangreiche Zufriedenheitsumfrage in den ambulanten Betreuungsdiensten aller vier Sprengel durchgeführt. Von den fast 850 Klientinnen und Klienten nahmen 361 Personen an der Erhebung teil. Abgefragt wurde die Zufriedenheit mit den Leistungen der Pflege zu Hause, der Pflegezentren und dem Dienst „Essen auf Rädern“. Die Befragung ergab durchwegs Bestnoten.
Das Gesamtergebnis fällt außergewöhnlich positiv aus: Die Betreuungsqualität wurde im Durchschnitt mit 9,6 von zehn Punkten bewertet.
Besonders hervorgehoben wurden:

• Freundlichkeit, fachliche Kompetenz und respektvoller Umgang der Mitarbeiterinnen und Mitarbeiter: 9,7 Punkte;
• Entlastung durch die Hauspflege: 9,8 Punkte;
WOHNSTUDIO MAIR LORENZ IN OBERRASEN
• Sorgfalt und Gewissenhaftigkeit bei der Pflegeausführung: 9,7 Punkte;
• Dauer der Betreuungszeit sowie Einhaltung der Uhrzeiten: 9,6 Punkte; Weiter auf Seite 62 >>
Die innovative Relax-Powerinsole-Auflage vereint erstmals fortschrittliche Magnetresonanzanwendung mit modernster Frequenztechnologie in einer praktischen und flexibel platzierbaren Matratzenauflage. Diese einzigartige Kombination ermöglicht es, nicht nur die Qualität Ihres Schlafes zu verbessern, sondern unterstützt auch effektiv die nächtliche Erholung Ihres Körpers. Ob bei Verspannungen, Schlafproblemen oder zur Steigerung des allgemeinen Wohlbefindens- die Powerinsole wirkt gezielt dort, wo Sie es brauchen, und sorgt für nachhaltige Entspannung und Regeneration. Durch die regelmäßige Anwendung werden nicht nur körperliche Beschwerden gelindert, sondern auch die mentale Entspannung und

Stressreduktion gefördert. Die angenehme Nutzung unterstützt Sie dabei, frischer und energiegeladener aufzuwachen. Entspannen Sie tiefer, regenerieren Sie schneller und erleben Sie ein deutlich verbessertes Körpergefühl. // PR-Info



WOHNSTUDIO & Tischlerei Mair
Antholzer Talstr. 31 - 39030 Oberrasen
T: +39 (0474) 496 272
info@mairlorenz.it
DANSTUDIO Exklusiv d. Mair Lorenz
St. Lorenznerstr. 13 - 39031 Bruneck
T: +39 (0474) 530 054
danstudio@mairlorenz.it *www.mairlorenz.it 14.03.
VON ZIEGLAUER
Gesundheit ist kein Zufall. Sie entsteht Tag für Tag durch bewusste Entscheidungen. Ob man bereits sportlich aktiv ist, wieder mehr Bewegung in sein Leben bringen möchte oder spürt, dass es Zeit ist, dem eigenen Körper mehr Aufmerksamkeit zu schenken: Der richtige Moment, etwas für die Gesundheit zu tun, ist immer jetzt.
Das Sanitätshaus von Zieglauer setzt dabei auf ein klares Credo: Prävention beginnt nicht erst in der Arztpraxis, sondern im Alltag –beim Gehen, Sitzen, Schlafen und Entspannen. Oft sind es einfache Hilfsmittel und kleine Routinen, die Beweglichkeit fördern, Gelenke entlasten und das allgemeine Wohlbefinden steigern. Im Mittelpunkt steht die persönliche Beratung. Denn nur im direkten Gespräch wird deutlich, wo individuelle Bedürfnisse und Herausforderungen liegen. Mit Fachkompetenz und ausreichend Zeit werden maßgeschneiderte Lösungen gefunden – abgestimmt auf jede Lebenssituation.
Das Angebot reicht von klassischen Hilfsmitteln bis zu modernen Therapieformen. Gehstöcke, Bandagen oder Balancekissen unterstützen Mobilität und Stabilität. Einlagen und Silikonpolster entlasten die Füße und können Fehlhaltungen vorbeugen. Ergonomische Sitz- und Rückenkissen fördern eine gesunde Haltung, während spezielle Nacken- und Schlafkissen die nächtliche Regeneration verbessern.
Auch die Durchblutung und Venengesundheit spielen eine wichtige Rolle. Kneipp-Anwendungen, Stütz- und Kompressionsstrümp-

fe oder pflegende Venenprodukte können helfen, schweren Beinen vorzubeugen. Auch finden Sie bei uns die gesamte Palette von Produkten der Naturfirma Maitreya. Ergänzend kommen bei Bedarf moderne Anwendungen wie Magnetfeldtherapie, Elektrostimulation (TENS/EMS), Photobiomodulation (Rot- und Nahinfrarotlicht) oder Lymphdrainagegeräte zum Einsatz. Sie können Regeneration und Entspannung unterstützen und werden individuell abgestimmt. Moderne Blutdruckmessgeräte ermöglichen zudem eine regelmäßige Kontrolle wichtiger Gesundheitswerte. Das Ziel ist klar: Menschen dabei zu unterstützen, ihre Gesundheit aktiv und selbstbestimmt zu stärken. Denn wer heute bewusst handelt, schafft die Grundlage für mehr Lebensqualität morgen.
// PR-Info




„Qualität ist uns wichtig“, betont Robert Alexander Steger, Präsident der Bezirksgemeinschaft Pustertal. Die hohe Qualität der Betreuung trage wesentlich dazu bei, dass Menschen möglichst lange im vertrauten häuslichen Umfeld bleiben können.
Auch das Vertrauen der Nutzerinnen und Nutzer in die Mitarbeitenden der BZG Pustertal erreicht mit 9,6 Punkten eine der höchsten Bewertungen. Besonders geschätzt werden die Zeit für persönliche Gespräche und der respektvolle Umgang. „Die Zufriedenheit mit der Arbeit unserer Mitarbeitenden ist sehr hoch. Es ist ihr großer Verdienst – ihnen gebührt unser Dank“, ergänzt Steger.
VERWALTUNG EBENFALLS MIT SEHR GUTEN WERTEN
Auch die unterstützenden Verwaltungsleistungen erzielten hervor-

ragende Noten. So gab es Höchstnoten für die Beratung und Aktivierung des Dienstes, die Freundlichkeit und die Berücksichtigung von Wünschen und Anregungen. Alle Werte bewegten sich zwischen 9,5 und 9,7 Punkten.
ESSEN AUF RÄDERN ALS UNVERZICHTBARER DIENST
Der Dienst „Essen auf Rädern“ wurde als besonders wichtig erlebt. Die Befragten bewerteten die Qualität und Abwechslung des Essens sowie Organisation und Zustellung mit sehr guten Ergebnissen. Rückmeldungen wie „Ich bin vollkommen zufrieden, es könnte nicht besser sein!“, „Der Dienst ist eine große Hilfe“ oder „Sehr kompetente, fürsorgliche Mitarbeiterinnen!“ unterstreichen dies eindrucksvoll. Weiter auf Seite 64 >>


KLIMASTOLLEN IN PRETTAU
Die Grubenbahn des Landesmuseum Bergbau in Prettau bringt Besucherinnen und Besucher nicht nur in das Herz des Kupferbergwerkes im Ahrntal, sondern ab 1. April 2026 auch wieder in den Klimastollen.
bergbaumuseum.it
Landesmuseum
Bergbau Museo Provinciale Miniere
Von Dienstag bis Sonntag um 10 Uhr und um 14.40 Uhr können Teilnehmerinnen und Teilnehmer wieder tief Luft holen. Rund 1.000 Meter ins Innere nimmt uns der Berg auf und führt uns zu Ruhe und reiner Atemluft. Besonders jetzt sind der Klimastollen und sein besonderes Mikroklima für Menschen mit Atemwegsbeschwerden wichtig: die Atemwege werden frei und Symptome können gelindert werden. Speläotherapie – so nennt sich die Höhlentherapie im Fachjargon, verschafft Linderung bei Erkrankungen der oberen und unteren Atemwege, wie etwa Asthma, Bronchitis, Nasennebenhöhlenleiden, Allergien und Heuschnupfen. Dabei ist der Aufenthalt im Klimastollen völlig frei von Nebenwirkungen. Doch nicht nur Menschen mit Atemwegsbeschwerden finden Erholung – auch alle, die dem Alltagstrubel für eine Weile entfliehen wollen. Geborgen im Schoß der Erde sind Sie für sich selbst da, Stress und Anspannung bleiben draußen. Reservieren Sie einen Platz in der Grubenbahn, die Sie in diese Welt unter Tage bringt. Weitere Informationen unter Bergbaumuseum.it/ de/klimastollen. // PR-Info

„HÖRZENTRUM SÜDTIROL“ VON MARKUS THALER
Wenn man von Gesundheit im Alter hört, denkt man meistens an Blutdruck, Muskelbeschwerden und Arthrose. Was hat das Gehör denn mit Gesundheit zu tun? Das ist eine Frage, die von vielen Wissenschaftlern eingehend erforscht wird, mit teilweise sehr eindeutigen Antworten.
Mit zunehmendem Alter steigt nicht nur das Risiko für einen Hörverlust, sondern auch für kognitive Erkrankungen wie Demenz. Was viele nicht wissen: Zwischen Schwerhörigkeit und Demenz besteht ein enger Zusammenhang. Wissenschaftliche Studien zeigen, dass unbehandelte Hörminderungen das Risiko für eine Demenzerkrankung deutlich erhöhen können.


Der Grund dafür liegt in mehreren Faktoren. Zum einen führt eine Schwerhörigkeit zu einer erhöhten geistigen Belastung. Das Gehirn ist permanent damit beschäftigt, fehlende oder unklare akustische Informationen zu kompensieren. Diese dauerhafte Überforderung kann langfristig wichtigen „Speicherplatz“ binden, der für Gedächtnis, Aufmerksamkeit und Denken fehlt. Zum anderen ziehen sich viele Betroffene, oft unbewusst, aufgrund von Verständigungsproblemen aus sozialen Situationen zurück. Soziale Isolation gilt jedoch als einer der wichtigsten Risikofaktoren für den Abbau geistiger Fähigkeiten im Alter.
HÖREN IST EIN ZENTRALER SINN
Hinzu kommt, dass das Hören ein zentraler Sinn für die Stimulation des Gehirns ist. Fehlen akustische Reize über längere Zeit, können bestimmte Gehirnareale an Aktivität verlieren. Studien belegen, dass Menschen mit unbehandelter Schwerhörigkeit ein bis zu fünfmal höheres Demenzrisiko haben als normalhörende Personen.

Die gute Nachricht: Schwerhörigkeit ist behandelbar. Wir vom Hörzentrum Südtirol machen den Anfang. Bei uns machen Sie auf Vormerkung einen kostenlosen Hörtest, den wir Ihnen ganz genau erklären. Wir geben Ihnen einen Ausdruck davon mit, den Sie mit Ihrem Vertrauensarzt besprechen können. Sollte eine Schwerhörigkeit vorliegen, suchen Sie zusammen mit uns die passenden Hörgeräte aus. Jede Schwerhörigkeit verlangt eine individuelle Lösung, die Sie bei uns finden. Wir freuen uns auf Sie! // PR-Info


HOHE ZUFRIEDENHEIT AUCH UNTER DEN MITARBEITENDEN
72 % der Mitarbeitenden des ambulanten Betreuungsdienstes beteiligten sich an der Umfrage. Die Ergebnisse zeigen eine hohe Arbeitsmotivation (9,3 Punkte) und eine gute Bewertung von Urlaubsplanung, Weiterbildung, Arbeitszeiten und Informationsfluss. Gleichzeitig wird deutlich, dass steigende Anforderungen, Verkehrssituation und Personalmangel eine Belastung darstellen und bei Mittagsrahmenbedingungen sowie Entlohnung noch Verbesserungsbedarf besteht. Besonders positiv hervorgehoben werden der starke Teamzusammenhalt, die gegenseitige Unterstützung und die Rolle der Vorgesetzten. „Besser kann die Bewertung kaum sein – und dennoch wer-

den wir regelmäßig prüfen, wie wir diesen Qualitätsstandard halten und weiter verbessern können“, betont Patrick Psenner, Direktor der Sozialdienste im Pustertal. Besonders freue ihn die hohe Zufriedenheit innerhalb der Teams.
ALS ANSPRUCH
Eine regelmäßige Evaluation sozialer Dienstleistungen ist für die Bezirksgemeinschaft Pustertal zentral, um Verbesserungsbedarf zu erkennen und die Angebote bedarfsgerecht weiterzuentwickeln. Nur so kann der hohe Qualitätsstandard im sozialen Bereich langfristig gesichert werden. // ph
Schmerz begegnet uns in so unterschiedlichen Facetten - körperlich, seelisch, und manchmal auch still und unsichtbar. Einmal mehr, einmal weniger begleitet er uns durch das Leben. Doch ebenso vielfältig sind die Möglichkeiten der Naturheilkunde, uns zu unterstützen und Möglichkeiten zur Besserung aufzuzeigen. Gerade in einer Zeit, in der viele Menschen wieder nach natürlichen Wegen für Gesundheit und Wohlbefinden suchen, wollen wir gemeinsam Antworten finden und Brücken schlagen zwischen Wissenschaft und Volksheilkunde, zwischen Tradition und Innovation. Die Naturheilkunde hält so vieles für uns bereit, was uns helfen und unterstützen kann.

An zwei Tagen stellen namhafte Fachexperten, Apothekerinnen und Heilpraktikerinnen aus dem In- und Ausland verschiedene Möglichkeiten vor. Aus ihrem langjährigen Erfahrungsschatz heraus bieten sie wertvolle Einblicke in die vielfältigen Ansätze zur Besserung von Schmerzen. Ein einzigartiges Event, das die Möglichkeit bietet, mit inspirierenden Fachvorträgen sein Wissen zu erweitern. Ein zentrales Merkmal ist der Austausch und das Stellen von Fragen an die Experten, sowie die Vernetzung mit Gleichgesinnten.
Weitere Informationen gibt es unter https://heilpflanzenschule.it/ 1-kongress-2026/. Denn: Es ist nicht genug zu wissen – man muss auch anwenden. „Es ist nicht genug zu wollen, man muss auch tun“, wie es Johann Wolfgang von Goethe ausgedrückt hat. // PR-Info
Wo
Brixen Zentrum
Unterkunft/Verpflegung bei Bedarf
JuKas
Wie es uns gelingen kann, Nähe und Verbindung zu uns selbst und zu anderen zu entfalten
+39 0472 279923 bildung@jukas net
Mögliche Termine
10 - 12 April 2026 (Anmeldefrist 23 März)
Freitag 09:00 - Sonntag ca 16:00
05 - 07 Juni 2026 (Anmeldefrist 18 Mai)
Freitag 09:00 - Sonntag ca 16:00
Selbsterfahrung Seminar
als Entwicklungsmöglichkeit
20 - 22 November 2026 (Anmeldefrist 02 November)
Prägungen aus der eigenen frühen Zeit können unser aktuelles Verhalten beeinflussen. Dieses Selbsterfahrungsseminar gründet besonders auf der Arbeit von Ray Castellino (USA). Meine Kollegin Silke Stockner, anerkannte Psychotherapeutin mit Weiterbildungen in Körperpsychotherapie und Bindung u.a. mit Thomas Harms, wird mich im Seminar unterstützen, um einen sicheren Rahmen zu schaffen.
Freitag 09:00 - Sonntag ca 16:00
Kosten
Euro 520 (exkl Unterkunft/Essen)
In unserem Selbsterfahrungsseminar geht es darum, frühe Prägungen zu erkennen und in unsere Geschichte zu integrieren und so die Vitalität zu steigern, die Liebe für uns selbst zu entdecken, den eigenen Bedürfnissen Ausdruck zu geben, sowie Anerkennung für unsere Grenzen als auch Akzeptanz für unsere Geschichte und unser Leben zu finden. Es geht auch darum, gesehen zu werden für das, was wir sind, und uns zeigen zu dürfen.
OFFENE FRAGEN

Patricia Thaler
Silke Stockner Psychologin und Psychotherapeutin +39 393 4258430 | silkestockner@gmail com Seminarleitung
Craniosacrale Körperarbeit prä- und perinatale Begleitung
+39 342 7177077 | patriciathaler@gmail com

Gibt es Momente oder Situationen in deinem Leben, die sich wiederholen und in denen du immer wieder steckenbleibst? Fühlst du dich nicht beachtet oder gesehen? Was passiert mit dir, wenn du dich unter Druck fühlst und überfordert bist? Hast du den Eindruck immer alles selbst machen zu müssen? Fühlst du dich immer verantwortlich fürs Wohlbefinden und fürs Glück der anderen und vergisst dabei vielleicht dich selbst?

WIE ARBEITEN WIR IM SELBSTERFAHRUNGSPROZESS?
Das Seminar findet über drei Tage in einer kleinen Gruppe von vier Teilnehmerinnen und Teilnehmern statt. Wir bieten allen Teilnehmenden eine individuelle Sitzung im Beisein der Gruppe an, zudem ein Nachgespräch zur Integration der Erfahrungen und des erlebten Prozesses. Das Miterleben in der Gruppe ermöglicht ebenso tiefe, erklärende und verändernde Erfahrungen.


Wir sorgen für einen sicheren und geschützten Rahmen. Unsere Absicht ist es, eine halt gebende und stützende Begleitung in empathischer und liebevoller Akzeptanz anzubieten. Diesen frühen „Prägungen“ und der daraus entstandenen „Verhaltensmuster“ bewusst zu werden, kann uns helfen, sie zu erkennen und zu integrieren. Unter anderem im Alltag neue Handlungs- und Erlebnisspielräume zu entwickeln.
ERFORSCHUNG ÜBER UND DURCH DEN KÖRPER
Die Erforschung über und durch den Körper ist dabei wesentlich: es gibt ein Zellgedächtnis, das den Zugang zu diesen frühen Erfahrungen, Traumata und Schock-Situationen durch das Fokussieren auf Körpersprache und -gefühle erlaubt. Wichtig ist es in der Folge auch, klärende Worte zu finden und zwischen dem vergangenen Geschehen und dem Hier-und-Jetzt zu differenzieren, sodass wir eine Brücke zu neuen offenen Möglichkeiten schaffen.
Unser Seminar ist für jeden offen, der sich soweit stabil und im Gleichgewicht fühlt, um in einer kleinen Gruppe zu arbeiten und bei den Prozessen der anderen Teilnehmerinnen und Teilnehmern unterstützend und achtsam dabei sein zu können. // PR-Info
Wo
Brixen Zentrum
Unterkunft/Verpflegung bei Bedarf
JuKas
+39 0472 279923 bildung@jukas net
Mögliche Termine
10 - 12 April 2026 (Anmeldefrist 23 März)
Freitag 09:00 - Sonntag ca 16:00
05 - 07 Juni 2026 (Anmeldefrist 18 Mai)
Freitag 09:00 - Sonntag ca 16:00
20 - 22 November 2026 (Anmeldefrist 02 November)
Freitag 09:00 - Sonntag ca 16:00
Kosten
Euro 520 (exkl Unterkunft/Essen)
Seminarleitung


Patricia Thaler
Craniosacrale Körperarbeit, prä- und perinatale Begleitung +39 342 7177077 | patriciathaler@gmail com
Silke Stockner
Psychologin und Psychotherapeutin +39 393 4258430 | silkestockner@gmail com




Prägungen a können unser
Diese Arbei einen kreative


W ie bereits mehrfach angekündigt, sollen Gemeinschaftshäuser künftig die wohnortnahe Gesundheitsversorgung in Südtirol stärken und den Bürgerinnen und Bürgern den Zugang zu grundlegenden Gesundheitsleistungen erleichtern. Im Gesundheitsbezirk Bruneck wird als erste konkrete Maßnahme seit dem ersten März 2026 im Haus der Gemeinschaft Hochpustertal ein zusätzlicher Blutentnahmedienst eingerichtet.
Das Ambulatorium befindet sich in Innichen in der Aue 6, und ist jeden Mittwoch von 7.00 bis 8.45 Uhr geöffnet. Für die Blutentnahme ist eine Vormerkung erforderlich, welche über die einheitliche Vormerkstelle telefonisch unter 0474 100100 oder online unter sanibook.sabes.it vorgenommen werden kann. Das Ambulatorium ist zudem direkt unter der Nummer 0474 917450 erreichbar. Die Blutabnahmen im Krankenhaus Innichen sowie im Sprengelstützpunkt Welsberg bleiben unverändert bestehen. Der neue Dienst ergänzt somit das bestehende Angebot und soll den Bürgerinnen und


Bürgern im Einzugsgebiet des Hochpustertales einen noch einfacheren Zugang zu diagnostischen Leistungen ermöglichen und den Service weiter verbessern. // bp
Vom 13. bis 29. März 2026 steht das Eisacktal ganz im Zeichen regionaler Kulinarik. Bei der Eisacktaler Kost – der ältesten Spezialitätenwoche Südtirols – laden 19 Betriebe von Sterzing bis Barbian zum kulinarischen Frühling.

Seit Jahrzehnten ist die Veranstaltungsreihe fixer Bestandteil des Südtiroler Kalenders. Wenn die Natur erwacht, rücken zwei Wochen lang Frühlingsgerichte und heimische Produkte in den Mittelpunkt. Traditionelle Rezepte treffen dabei auf kreative Neuinterpretationen. Ein zentrales Anliegen ist die enge Zusammenarbeit zwischen lokalen Produzenten, Gastwirten und Gästen. Viele Zutaten stammen direkt aus der Umgebung und stehen für authentischen Geschmack. Verarbeitet werden unter anderem Milchprodukte, Freiland-Eier, Wildfleisch, Gemüse wie Sauerkraut, Kartoffeln und Rüben, Kräuter sowie Getreide wie Gerste, Buchweizen und Roggen. Auch Qualitätsprodukte Südtirols und der Südtiroler Apfel sind Teil des kulinarischen Programms. Zur Spezialitätenwoche gehört zudem ein Gewinnspiel: Wer in einem teilnehmenden Betrieb einkehrt, kann einen Essensgutschein gewinnen – vor Ort oder online. Gleichzeitig übernehmen die Betriebe soziale Verantwortung. Ein Teil der Erlöse geht an die Lebenshilfe, konkret an die Beratungsstelle „Trotzdem reden“ in Brixen. Sie unterstützt Menschen mit eingeschränkter Lautsprache und fördert ihre gesellschaftliche Teilhabe. Weitere Informationen gibt es unter www.eisacktalerkost.info. // PR-Info IM
„MINI & ME“ VON JUNGMANN
„Mini & me“ ist mehr als ein Baby-Store – ein Ort für all die ersten Male. Für werdende Eltern voller Vorfreude und für junge Familien, die bewusst auswählen, nachhaltig denken und Wert auf Qualität legen.
Mitten in der Raiffeisenpassage im Herzen von Bruneck verbindet „Mini & me“modernes Lebensgefühl mit der Erfahrung des traditionsreichen Einrichtungshauses Jungmann. Seit zwei Jahren begleitet das Fachgeschäft Familien durch eine der intensivsten Phasen ihres Lebens – persönlich, ehrlich und mit feinem Gespür für das, was Eltern heute wichtig ist.
Eltern und Kinder von 0 bis 5 Jahren finden hier eine sorgfältig kuratierte, hochwertige Produktwelt für die ersten Lebensjahre. Nachhaltige Materialien, geprüfte Qualität und renommierte Marken stehen im Mittelpunkt.
Ein besonderer Fokus liegt auf der Mobility-Kompetenz. Ob Kinderwagen, Autositze oder flexible Travelsysteme – moderne Lösungen verbinden Sicherheit, Komfort und Design und machen den Familienalltag einfacher und flexibler.
GROSSE VIELFALT
Die Markenvielfalt wächst stetig. Labels wie Cybex, Thule, Bamboom, Babyface, Sterntaler oder Stokke stehen für Innovation und zeitgemäße Funktionalität. Regelmäßige Sortimentswechsel halten das Angebot am Puls der Zeit – mit dem Anspruch, Qualität und Stil auf höchstem Niveau zu vereinen.
Doch „Mini & me“ steht für mehr als Mobilität. Das Sortiment be-

gleitet Familien ganzheitlich durch die ersten Jahre – mit ausgewählter Erstausstattung, hochwertigen Textilien und durchdachten Alltagshelfern.
Was den Store besonders macht, ist die persönliche Atmosphäre. Hier darf ausprobiert, gefragt und verglichen werden – ohne Zeitdruck. Denn jede Familie ist einzigartig.
Für zusätzlichen Komfort sorgt die zentrale Lage: Kundinnen und Kunden parken eine Stunde kostenlos in der Parkgarage Stadtzentrum.
„Mini & me“ wächst mit – mitten in Bruneck. Ein Ort, an dem aus Produkten Lieblingsstücke und aus Beratung echtes Vertrauen wächst. // PR-Info

Alles für die Kleinsten mit Liebe ausgewählt.
Von der Erstausstattung bis zum Lieblingsspielzeug: top Marken, die Qualität und Geborgenheit verbinden. Mit persönlicher Beratung, der du vertrauen kannst.
Bruneck Raiffeisenpassage
Brixen Bozen WalterPark


DR. MED. STEPHAN EGGER
Am ersten Dezember 2025 hat Dr. med. univ. Stephan Egger sein eigenes Ambulatorium in der Stadtgasse 43 in Bruneck eröffnet, wo er als Kinderarzt freier Wahl arbeitet. Das neue Studio befindet sich im Ärztehaus im Herzen der Stadt, in dem mehrere Fachärzte untergebracht sind und das sich zunehmend als zentrale Anlaufstelle für medizinische Versorgung etabliert.
Dr. Egger ist Facharzt für Kinder- und Jugendmedizin sowie Facharzt für Neuropädiatrie. Nach seiner Matura am Realgymnasium in Bruneck studierte er Humanmedizin an der Medizinischen Universität Innsbruck und schloss 2010 mit dem Doktorat ab. Seine fachliche Ausbildung führte ihn unter anderem an das Krankenhaus Meran, an die Universitätskinderklinik Innsbruck sowie an das


Universitätsklinikum Graz, wo er als Oberarzt mit Schwerpunkt Neuropädiatrie tätig war. Zuletzt arbeitete er bis November 2025 am Krankenhaus Bruneck, wo er die neuropädiatrische Ambulanz leitete und Ansprechperson für das gesamte Spektrum der Neuropädiatrie war.
DIE NEUE PRAXIS
Neben seiner klinischen Tätigkeit absolvierte er zahlreiche Zusatzausbildungen, unter anderem in Elektroenzephalographie(EEG) sowie in verschiedenen Bereichen der kindlichen Sonographie und in der Allergologie. Im Studienjahr 2023/2024 schloss er zudem einen Master in pädiatrischer Neurologie an der Universität „Tor Vergata“ in Rom ab. Mit seiner neuen Praxis im Ärztehaus möchte Dr. Egger Kinder und Jugendliche in ihrer körperlichen und neurologischen Entwicklung



langfristig begleiten. Im Mittelpunkt stehen dabei fachliche Kompetenz, eine ruhige Atmosphäre und ausreichend Zeit für die Anliegen von Eltern und jungen Patientinnen und Patienten. Die zentrale Lage in der Brunecker Stadtgasse ermöglicht eine gute Erreichbarkeit und eine enge Zusammenarbeit mit den weiteren im Haus ansässigen Ärztinnen und Ärzten. // bp
DAUERHAFT
• SCHWEISSFREI
• GERUCHSFREI


ROM – die ewige Stadt ewige
Regenerative
Infusionstherapie
Filler & Botox
Krampfader-Behandlung ohne Operation
Schlupflider-Behandlung ohne Operation
Dauerhafte Achselschweiß-Behandlung
Soft Surgery: miniinvasive, narbenfreie
Haut-Chirurgie in Lokalanästhesie
Carboxy- und Sauerstofftherapie
Natürliche ästhetische Medizin & Therapie
Natürliche Fettreduktion + Fatburning
Natürlicher Fettaufbau im Gesicht
Faden-Lifting ohne Operation
Peeling & Needling
Gewebsstraffung an Oberarmen, Hals und Dekolleté
Laser & IPL (gepulstes Licht)
Haarentfernung, Akne, Besenreiser, Pigmentflecken, Couperose, Rosacea
TERMINE & INFOS
BOZEN Praxis Dr. Lentsch Tel. 0471 974419
Sparkassenstraße 8 Tel. 366 4382864
BRUNECK Josef-Seeber-Straße 14 Tel. 366 4382864
DR. PETER LENTSCH
Internationaler Universitärer Master Level II in Ästhetischer Medizin
Facharzt in Gynäkologie und Geburtshilfe
lentsch@gmx.net www.peterlentsch.it

12. – 15. März oder 19. – 22. Oktober (4 Tage)
1x
Musikreise nach Slowenien – Im Klang der OBERKRAINER 13. – 15. März (3 Tage)
Bus, 2x NF im 4* Hotel Park in Bled inkl. Wellnessbereich, 1x Abendessen, Eintrittskarte €399,Saisoneröffnungsfahrt ROVINJ – 4* Hotel Eden 18. – 22. März (5 Tage)
Bus, 4x HP im 4* Hotel Eden, Innenpool, Ausflug Porec inkl. RL € 599,ANDALUSIEN Sternfahrt mit Sevilla, Granada, Cordoba, Ronda, Malaga 09. – 16. April (8 Tage) Bustransfer; Flug ab/bis München, 7x HP im 4* Hotel, 4x Ausflüge inkl. Eintritte (u.a. Kathedrale Sevilla, Alhambra, Moschee von Cordoba) € 1975,VENETO Deluxe – Wohlfühltage im 5* Abano Ritz Hotel 15. – 19. April (5 Tage)
Bus, 4x HP im 5* Hotel inkl. Sauna, Thermalbecken, Spa-Kit, geführte Stadtbesichtigungen Padua und Chioggia, Ausflug euganeische Hügel € 899,SYLT Luxusreise – Friesischer Inselzauber im 5* Hotel 25. April – 01. Mai (7 Tage)
Bus,4x HP im 5* Superior Hotel A Rosa inkl. Spa, und 2x NF, Reiseleitung bei den Ausflügen € 1399,Nationalpark PLITVICER SEEN – Kroatien 01. – 03. Mai oder 23. – 25. Oktober (je 3 Tage)
Bus, 2x HP im 4* Hotel Etno Garden Palace direkt im Herzen des Nationalparks, Eintritt und Führung Nationalpark ab € 425,Insel RAB – Kroatien – 4* Arba Resort Valamar Collection 05. – 10. Mai oder 06.- 11. Oktober (je 6 Tage) Bus, 5x Halbpension, inklusive Getränke beim Abendessen € 799,Genusswanderung im Herzen des PIEMONT –Monferrato – Langhe - Barolo – Alba 08. – 13. Mai (6 Tage) Bus, 5x HP im 4* Ca´ San Sebastiano Wine Resort & Spa, 4x geführte Wanderungen, Weinverkostung, diverse Besichtigungen € 999,SCHWEIZER HOCHALPEN EXKLUSIV mit St. Moritz, Grindelwald, Bern, Montreux und Zermatt 13. – 19. September (7 Tage) € 2395,Bus, 6x HP in TOP 3* Sup und 4* Sup Hotels, Diverse Seilbahnfahrten und Bahnfahrten laut Programm, Stadtführung Fribourg, RL: Werner Manfreda
Detailinformationen zu diesen und vielen weiteren Reisen finden Sie in unserem aktuellen Erlebnisreisenkatalog 2026 (wir schicken Ihnen gerne ein Exemplar postalisch zu) oder auf www.alpenland-reisen.at
Alle Zustiege ab Bruneck, östliches Pustertal, Sillian, Lienz bzw. entlang der Fahrtstrecken inklusive. Weitere auf Anfrage!
Alpenland Erlebnisreisen Manfreda GmbH & Co KG
Dolomitencenter - Amlacherstraße 2 - A-9900 Lienz Tel. +43 (0) 485 265 111 - www.alpenland-reisen.at


Vom 13. bis zum 15.03.2026 findet von 10:00 bis 19:00 Uhr die 16. Auflage des Käse- und Feinschmeckerfestivals in Sand in Taufers statt. Dabei werden Käsespezialitäten aus Südtirol, Italien, Europa sowie Delikatessen aller Art dargeboten. Es gibt auch wieder das beliebte Schaukochen mit internationalen Chefs und ein tolles Kinderprogramm.
Vom 13. bis 15. März ist der Tauferer Festpavillon erneut Dreh- und Angelpunkt des guten Geschmacks. Besondere Käsespezialitäten und unzählige weitere Delikatessen aus nah und fern werden verkostet, genossen, verkauft, gekauft, probiert: auf dem 16. Käse- und Feinschmeckerfestival mitten in Sand in Taufers. Viele bekannte Produzentinnen, Produzenten, aber auch viele neue Delikatessenhersteller sind zu Gast. Die Vielfalt ist überwältigend: Fisch, Pudding, Bier, Senf, Salami, „Kloazn“ (Birnen), Lupinenschokolade, und vieles mehr. Alles von vollendeter Qualität. Ein Highlight: die vielen geführten Geschmacks-Erlebnisse oder Laboratori. Bekannte Fachleute erläutern die verführerische Welt europäischer Spitzenkäse, unter ihnen der Gamalost, ein uralter norwegischer Schimmelkäse von spezieller Schärfe. Andrea Bo-
vo etwa, ausgewiesener Käsekenner aus Bruneck, präsentiert die „Best of Portugal“.
Lokale und internationale Top-Köche tischen auf in der Show-Cooking-Arena: Tina Marcelli, Herbert Hintner, oder Yaoyao Hu, Chef des gleichnamigen Restaurants in Salzburg. Für Kinder gibt es ein eigenes Programm. Die Käsemenüs in den Restaurants rund um Sand, die Käsebuch-Ausstellung in der Sandner Bibliothek, die Cheese-Partys im Zentrum: insgesamt ein rundes Festival-Erlebnis. // an
WICHTIGE INFORMATIONEN
Termin: 13.-15.03.2026
Uhrzeit: 10:00-19:00 Uhr
Ort: Sand in Taufers, Ortszentrum; Eintrittspreise 10,00 Euro pro Person und Tag, 15,00 Euro für alle drei Tage, Kids bis 14 kostenlos.
www.kaesefestival.com | www.festivaldelformaggio.com

Käse- und Genussmarkt Schaukochen mit internationalen Köchen Geführte Geschmackserlebnisse Kinderprogramm

















Wie nennt man einen alten Schneemann? Pfütze.
Schneemann O o hat keine Lust mehr! Es ist viel zu heiß... und bevor er schmilzt muss er abreisen. Er kennt da ein gemütlich kaltes Iglu mit herrlich eisigem Wind. Wo genau war es nochmal?
In der warmen Frühlingssonne
Nach den kalten Wintermonaten scheint endlich die warme Frühlingssonne.
Welcher Scha en gehört zu dem schmilzenden Schneemann?
Kinder-Sudoku:
Fülle die 10 freien Felder mit den fehlenden Zahlen aus. Die grünen Linien unterteilen die 4 Bereiche. In jedem Bereich müssen alle Zahlen von 1 bis 6 stehen. Aber Achtung, es darf sowohl waagerecht wie senkrecht keine Zahl doppelt stehen.
& Wortanzeigen: 10.03.2026
GENERVT VON SCHLECHTER BERATUNG?
Komm zu uns!



· Ordentliche Wartung
· Außerordentliche Wartung
· Automatikgetriebe
· Elektronische Reparaturen
· Reifenservice
· Motorwäsche
Bruneck: Suche sympathische Freizeitbekanntschaft für regelmäßige Spaziergänge an der frischen Luft, mit guten Gesprächen und entspannter Gesellschaft. Gemeinsam lachen und den Kopf frei bekommen. Alter idealerweise zwischen 35/45 Jahren. Tel. 348 7283354
Oberpustertal: Lebensfrohe 60-Jährige sucht nette Frau für Spaziergänge, unterhaltsame Gespräche oder einen gemütlichen Kaffee. Freue mich auf unkomplizierte, ehrliche Begegnungen (keine Männer bitte) Tel. 328 6030920
Künstler und Handwerker gesucht zur Fertigstellung eines Hauses. Gesucht werden engagierte Mitgestalter mit Sinn für Qualität, Ästhetik und Freude am kreativen Arbeiten. Tel. 331 3417444
Entrümpelungs-und Umzugsservice im Pustertal: Seeber Andreas. Tel. 349 6648312 oder seeber.andreas74@gmail.com 1.000 Gesundheitswochen. Ab 395 € Südtirol – europaweit. Yoga, Wellness. Entschlacken, entspannen, abnehmen. Intervall-, Basen- und Rohkostfasten. Fastenwanderleiter-Ausbildung im Okt. Ganzjährig. Tel. 0049(0)631-47472 www.fasten-wander-zentrale.de St. Georgen: 1x eine 3-reihige Steyrische Harmonika (Ideal für Anfänger) an Selbstabholer zu verkaufen. Anrufe ab 12 Uhr erbeten. Tel. 0474 550684
AUCH LEDERJACKEN NACH MAß
Oberragen 9, 39031 Bruneck Tel: 388 6235037 • 349 6173847
Tel. 0474 550 830
E-Mail: info@pz-media.it
Rubrik: Kleinanzeiger www.pz-media.it


Partnervermittlung
Herzblatt
Tanja Raffl
Infogespräche auch in Brixen
M: 335 1244186
info@herzblatt.it www.herzblatt.it


Wir suchen Gebrauchtwagen
- Alle Modelle - BaujahrePreisklassen
- Auch Fahrzeuge mit hohen Kilometerstand, sowie Unfall-, Getriebe-, oder Motorschaden
Autonita - Bruneck - Pustertal

d. Nuka Dardan
Fabrikstraße 2 (gegenüber Karosserie Leitner) | Bruneck
Tel.: +39 347 732 49 95 nuka.autonita@outlook.it
Ein Job, der zu dir und deinem Leben passt.
Wir suchen Unterstützung in unseren Filialen in Olang, Welsberg, Bruneck, Sand in Taufers und Toblach. Ob Vollzeit, Teilzeit, am Wochenende oder als Aushilfe. Du wünschst dir flexible Arbeitszeiten, ein verlässliches Umfeld und ein motiviertes Team, das dich unterstützt?
Dann bist du bei uns genau richtig!
Dich erwarten eine gute Entlohnung, 2 Monate gratis Einkaufen und über 200 Benefits. Komm ins Team! Bewerbungen unter personal@anjoka.it oder 0474 529 580

www.zahnarzt-ungarn-heviz.de

www.zahnarzt-ungarn-heviz.de
• seit über 15 Jahren erfolgreich in Südtirol
• seit über 15 Jahren erfolgreich in Südtirol
•seit 20 Jahren erfolgreich in Südtirol
•ganzjährig geöffnete Partnerpraxis für Vorund Nachbehandlungen in VINTL
• ganzjährig geöffnete Partnerpraxis für Vor- und Nachbehandlungen in VINTL
• ganzjährig geöffnete Partnerpraxis für Vor- und Nachbehandlungen in VINTL
•Ungarns größte Zahnklinik mit 45-jähriger Erfahrung
• eine der größten Kliniken Ungarns mit 45-jähriger Erfahrung
• eine der größten Kliniken Ungarns mit 45-jähriger Erfahrung
•bestens ausgestattete Räumlichkeiten und 21 hochqualifizierte Zahnärzte
• bestens ausgestattete Räumlichkeiten und 21 hochquali zierte Zahnärzte
• bestens ausgestattete Räumlichkeiten und 21 hochquali zierte Zahnärzte
• Top-Qualität und beste Behandlungsmöglichkeiten für Angstpatienten auch im Dämmerschlaf
•Top-Qualität und beste Behandlungsmöglichkeiten für Angstpatienten auch im Dämmerschlaf
• Top-Qualität und beste Behandlungsmöglichkeiten für Angstpatienten auch im Dämmerschlaf
•wöchentlicher Transfer im Dental-Taxi
• wöchentlicher Transfer im Dental-Taxi
• wöchentlicher Transfer im Dental-Taxi
• Professionalität und Herzlichkeit sprechen für uns
•Professionalität und Herzlichkeit sprechen für uns
• Professionalität und Herzlichkeit sprechen für uns

339 10 70 714
339 10 70 714
Bewirb dich jetzt





Wir suchen für die Sommersaison (April–November) (m/w/d) eine Kosmetikerin/Masseurin und einen II Koch
Wir freuen uns auf Ihren Anruf. Tel. 0474 678113
STUDIO DE BETTIN®
CONSULENZA FISCALE – SOCIETARIA – DEL LAVORO
CONSULENZA FISCALE – SOCIETARIA – DEL LAVORO
DE BETTIN®
WIRTSCHAFTS- STEUER U. ARBEITSRECHTSBERATUNG in Bruneck sucht Mitarbeiter/innen als:
CONSULENZA FISCALE – SOCIETARIA – DEL LAVORO
WIRTSCHAFTS- STEUER U. ARBEITSRECHTSBERATUNG in Bruneck sucht Mitarbeiter/innen als:
WIRTSCHAFTS- STEUER U. ARBEITSRECHTSBERATUNG in Bruneck sucht Mitarbeiter/innen als:
VERWALTUNGSSEKRETÄR/IN
VERWALTUNGSSEKRETÄR/IN
VERWALTUNGSSEKRETÄR/IN
Bewerbungen an filippo@debettin.it 0474 050050
Bewerbungen an filippo@debettin.it 0474 050050
Bewerbungen an filippo@debettin.it 0474 050050
Hotel ***B&B in Reischach sucht ein selbstständiges Zimmermädchen für 4 bis 5 Stunden am Vormittag. Tel. 331/1076378
Unsere Irmi geht demnächst in den wohlverdienten Ruhestand:
Wir suchen deshalb eine/n ortsansässige/n, deutschsprachige/n Verkäufer/in für die Gastrotheke für ca. 30 Stunden die Woche.
Für mehr Informationen: moser.paul@bb44.it
Für unser Büro in Bruneck suchen wir eine:n Zukunft gestalten. Viel beWIRken.
Deine Aufgaben: Lohnsachbearbeiter:in
• Erstellung von monatlichen Lohnabrechnungen und den dazugehörigen Meldungen
• Beratung und Betreuung unserer Kund:innen im Gastgewerbe
• Hilfestellung bei arbeits- und sozialrechtlichen Fragen
Bei uns sind auch Auszubildende willkommen.


Interessiert? Dann kontaktiere uns. verkürzte Arbeitszeit im Sommer sanitäre Zusatzversicherung kumulierbare Essensgutscheine Gleitzeit





Bruneck
Offener Kleiderschrankdie Kleiderkammer im Gedi Center: Öffnungszeiten: Mittwoch von 14.00 – 17.00 Uhr, Donnerstag von 9.00 – 11.00 Uhr und jeden letzten Samstag im Monat von 9.30 – 17.00 Uhr
Kleiderkammer vom Vinzenzverein Bruneck Öffnungszeiten: jeden 1. und 3. Donnerstag im Monat von 14.30 bis 16.30 Uhr in der Mühlgasse 2
Toblach
Kleiderkammer der Vinzenzvereinigung Toblach Öffnungszeiten: jeden 1. und 2. Samstag im Monat von 9:00 bis 11:00 Uhr und jeden 3. Dienstag von 15:00 bis 17:00 Uhr im Bahnhofsgebäude von Toblach.
Gemeinde Bruneck
Öffnungszeiten:
Dienstag u. Donnerstag:
07.15 - 12.15 Uhr & 13.4517.30 Uhr, Mittwoch u. Samstag: 07.15 - 12.15 Uhr
Selbsthilfegruppen
Bruneck
Parkinson Selbsthilfegruppe
Pustertal:
> Bewegung mit Musik in der Gruppe (Musiktherapie)
Das nächste Treffen: Mittwoch, 11.03.2026 von 10-11 Uhr mit Annemarie im „Haus der Vereine“ (Ex-Bocciahalle).
> Dance Wall mit Sonja
Die nächsten Treffen: Freitag, 06.03. und 20.03.2026 von 10-11 Uhr im „Haus der Vereine“ (Ex-Bocciahalle).
Nähere Auskünfte unter: Tel. 0474 410832 oder Tel. 328 1473035
Selbsthilfegruppe Fibromyalgie Pustertal
Am 2. Freitag des Monats im Krankenhaus Bruneck um 18 Uhr (beim Portier). Bitte um Voranmeldung beim Gruppenleiter
Andreas Lang Tel: 379 1280532
Nächster Termin: 13.03.2026
Selbsthilfegruppe bei Depression & Angststörungen Bruneck: Montag, 17.00 Uhr 14-tägliche Treffen.
Wichtig: Anmeldung beim Verein LICHTUNG; Tel: 333 4686220 oder info@lichtung-girasole.com Teilnahme nur möglich nach Erstgespräch mit der Gruppenleiterin.
Angehörige & Freunde von Alkoholikern
Kontakt Südtirol: 0474 944 469
Treffen: Bruneck (Seeböckhaus) am Dienstag, 15.00 Uhr und Brixen (Domgasse 2) jeden 2. + 4. Montag im Monat, 15.00 Uhr
Südtiroler Krebshilfe
WIR SIND FÜR SIE DA!
Kapuzinerplatz 9 – 39031
Bruneck, Tel. 0474 551327
TECHNIKER FÜR KAFFEEMASCHINEN
Du findest Lösungen? Dann werde Teil unseres Technik-Teams. Ob defekte Maschinen oder falsch eingestellte Mühlen, du analysierst, behebst und sorgst dafür, dass alles wieder zuverlässig läuft.
CAROMA Völs am Schlern +39 0471 172 52 00 irmih@caroma.info

Wir suchen für die Sommersaison (April–November) 1 Servicemitarbeiter/in 1 Zimmermädchen
Voraussetzungen: - Erfahrung im jeweiligen Bereich - Freude an der Arbeit - Zuverlässigkeit und Teamgeist
Wir freuen uns auf Ihren Anruf. Tel. 0474 678113
CAROMA_Stellenanzeige_Techniker_Pustertaler_Zeitung_C_GZD01_260226.indd 1 26.02.26 13:53
Montag: 13.00 – 17.00 Uhr, Dienstag, Mittwoch und Donnerstag: 8.30 – 12.00 Uhr
Gustav-Mahler-Straße 3b –39034 Toblach, Tel. 3351211392, Montag bis Mittwoch von 9.00 – 11.00 Uhr, Donnerstag von 9.00 – 11.00 Uhr und von 16.00 – 18.00 Uhr
Verein Frauen helfen Frauen
Paul-von-Sternbach-Str. 6, I-39031 - Bruneck (BZ) , Tel. 0474 410 303, info@frauenhelfenfrauenbruneck.it www.frauenhelfenfrauenbruneck.it Öffnungszeiten: Montag - Freitag: 8.30 - 11.30 Uhr, Mittwoch: 15.00 - 17.00 Uhr oder nach Vereinbarung
Anonyme Alkoholiker
ALKOHOLPROBLEME?
Es gibt eine Lösung. Nehmen Sie mit uns Kontakt auf! Tel. +39 334 8314515 sotirol@anonyme-alkoholiker.at www.anonyme-alkoholiker.at
Mietsuche
Bruneck: Zuverlässige ortsansässige Familie mit einem Kind und ohne Haustiere sucht eine gepflegte Mietwohnung im Raum Bruneck Mindestens 3 Zimmer, Garage erwünscht. Tel. 348 7903747 (Anrufe ab 18 Uhr erbeten)
Ortsansässige Familie mit 2 Kindern und stabilem Einkommen sucht ein langfristiges Mietverhältnis zu marktgerechtem Preis Nähe Krankenhaus Bruneck. Pünktliche Mietzahlungen sind selbstverständlich. Gerne Altbauwohnung, Holzofen und Hobbyraum. Tel. 333 8020936
Arzt und Krankenpflegerin beim SABES suchen für sich ab sofort 2 - 3-Zimmer-Wohnung in Bruneck/Umgebung (15 km), gern Erdgeschoss mit Balkon oder Garten. Haustiere vorhanden. Tel. 0049 176 82671611 oder E-Mail: wolfgang-wegert@ gmail.com
Schleifen, Ölen oder Lackieren von Holzböden sowie Grundreinigung von geölten Holzböden
Tel. +39 392 6711700 - Bruneck E-Mail: boednschleiffn@gmail.com
Mietangebote
Kiens: 2 Zimmerwohnung mit Garten und Garage ab April zu vermieten. Tel. 347 0980378 (Anrufe am Nachmittag erbeten) Schönes Café und vielseitige Räumlichkeiten zur Vermietung in der Umgebung von Bruneck Mobil: 349 6151598

Immobiliensuche Tel 0474 554666 | info@ausserhofer
Immobilienangebot
Geschäftslokal für Einzelhandel in bester Lage im Stadtzentrum von Bruneck von Privat zu vermieten. Größe 150 m², E-Mail an: friema76@gmail.com
Sexten: Wohnungen mit auslaufender Konventionierung, EK B, ab 375.000 € Sie möchten Ihre Immobilie verkaufen? Rufen Sie uns unverbindlich an für eine kostenlose Werteinschätzung!






















5182231 info@pescosta-boden.it


Bruneck: Dachgeschosswohnung in ruhiger Lage
ca 70 m² netto Wohnzimmer Wohnküche, 1 Schlafzimmer, Bad, WC, Keller, sanierungsbedürftig, E K G 2 1 280 000 € www ausserhofer immo















Wir suchen: - Geschlossene Höfe - Alte Häuser - Baugründe - Landw. Grundstücke









Malerarbeiten, Boden- & Fliesenlegen, Trockenbau, Maurerarbeiten, Bad-Sanierungen, Außenarbeiten und mehr...
Zuverlässig - Fachgerecht - Saubere Arbeit
Renova Bau | Tel: +39 380 5922977



Reischach: 2-Zimmerwohnung als Ideale Geldanlage komplett sanierte 2-Zi-Wg zentrale Lage letzter Stock mit Aussicht, nicht konventioniert, Süd-Westbalkon, Keller 1 1 393 000 €

Antholz/Niedertal: 4-Zimmer Erdgeschosswohnung im Neubau konventioniert, Wohnraum/Küche, große Terrasse und Garten 3 Schl Zi 2 Bäder großer Keller Autoabstellplatz
+39 0474 554666
€
Prettau: historisches EckBauernhaus im Ortskern getäfelte Bauernstube mit Bauernofen Küche, Bad, 6 Kammern, Garten, modernisierungsbedürftig E Kl G 6 1
info@ausserhofer immo
AUR1610: Im Erdgeschoss der „Post Mountain Residence“ im Herzen von Toblach erwartet Sie ein Geschäftslokal in bester Sichtlage mit starkem Kundenfluss. Der großzügige, flexibel gestaltbare Raum bietet ideale Voraussetzungen für vielfältige Nutzungsmöglichkeiten – präsent, repräsentativ und bereit für Ihren Erfolg. KlimaHaus A = 30,00 kWh/m²a

T. 0474 550 830 • info@pz-media.it • Rubrik: Veranstaltungen ohne Gewähr
Bruneck / Reischach
Winter-Bauernmarkt
Jeden Freitag von 08.00-12.30 Uhr auf dem Rathausplatz. Wochenmarkt
Jeden Mittwoch von 8.00 bis 14.00 Uhr auf dem Rathausplatz
Kiens
Infoabend und Workshop: Zyklusshow - Interessantes zum weiblichen Körper und der Menstruation
Elternabend: Am Freitag, 20.03.2026, ab 19.00 Uhr im Jugendverein ZEK. Workshop für Mädchen zwischen 10 - 12 Jahren: Am Samstag, 21.03.2026, von 09.00 bis 14.00 Uhr im Jugendverein ZEK. Gebühr: 5,00 Euro Anmeldung: ab 02.03.26, via WhatsApp an 379 1551 537 Mühlwald
Winter Extreme Barbecue Contest
Am Samstag, 07. und Sonntag, 08.03.2026 auf dem Festplatz Workshop: Schüssler Salze Am Dienstag 10.03.2026, ab 20.00 Uhr im Vereinshaus / Mühlwald. Mit der Referentin: Martina Oberschmied. Anmeldung: Tel. 340 506 8157, Gebühr: 20,00 Euro
Sand in Taufers/Rein in Taufers
Infoabend und Workshop: Jung(s)sein - rund um das Thema Pupertät
Elternabend: Am Montag 09.03., um 19.00 Uhr (Online) Workshop für Jungs zwischen
11 und 14 Jahren Zeit:
Am Samstag, 14.03.2026, von 9.00 bis 14.00 Uhr im Jugendzentrum Loop mit dem Referenten Alexander Dangl. Anmeldung: ab 02.03.26, martina@loop-sand.com oder 348 703 8694
Internationales Käsefestival Von Freitag, 13.03. bis Sonntag, 15.03.2026 von 10.00 bis 19.00 Uhr beim Festpavillon
Wanderausstellung: Heiliger Wolfgang - Leben und Verehrung des Heilgen Noch bis Samstag 14.03.2026 in der Pfarrkirche St. Wolfgang in Rein in Taufers.
Ahrntal
Nachtrodeln am Klausberg Jeden Dienstagabend bis 17.03. ab19.30 bis 22.00 Uhr in der Skiarena Klausberg in Steinhaus. Infoabend und Workshop: Zyklusshow - Interessantes zum weiblichen Körper und der Menstruation
Elternabend: Am Mittwoch 11.03.2026, um 19.00 Uhr im Jugend- und Kulturzentrum Alte Volksschule in Steinhaus. Workshop für Mädchen zwischen 10 und 12 Jahren: Am Samstag, 14.03.2026, von 9.30 - 14.30 Uhr im Jugend- und Kulturzentrum Alte Volksschule in Steinhaus. Gebühr: 10,00 Euro Anmeldung: info@aggregat.it oder 0474 652 020
Vortrag: Die Kraft der Kräuter - Traditionelle Heilmittel für die Frau
Am Donnerstag, 19.03.2026, ab 19.30 Uhr in der Bibliothek St.
Johann mit der Referentin Irene Hechenberger. Anmeldung: bis 12.03.26 unter 329 362 2410. Mountain Open Air
Am Samstag 14.03.2026 von 10.00 bis 20.00 Uhr bei der Kristallalm/ Skiarena Klausberg in Steinhaus.
Special Guest: Max Giesinger
Niederdorf
Vortrag: Kinder und Jugendliche liebevoll begleiten und Grenzen setzen
Am Dienstag 10.03.2026, ab 19.30 Uhr im Haus Wassermann
Toblach
Vortrag: Gesunde Snacks für die ganze Familie
Am Dienstag 10.03.2026 um 19.00 Uhr mit der Referetin Valentins Moling in der Bibliothek Schachtreff - mit Spieler des Schklubs ASK Niederdorf
Am Diesnatg 17.03.2026 ab 18.30 Uhr in der Bibliothek Festival Dolomites 2026 Versschiedene Termine zwischen 14.03 und 28.03.2026 im Euregio Kulturzentrum Gustav Mahler Saal. www.ticket.bz.it/ Innichen
Nachtskilauf & Rodeln
Am Dienstag 10.03. und Freitag 13.03.2026 von 19.00 bis 22.00 Uhr im Skigebiet Haunold Vortrag: Aktiv(iert) sein mit Demenz
Am Montag, 16.03.2026, von 19.00 - 21.00 Uhr im JosefResch-Haus, Innichen mit der Referentin Elisabeth Hofer.
LÖSUNGEN: SUDOKU, KREUZWORT- UND KINDERRÄTSEL
In der warmen Frühlingssonne Es ist der Scha en Nr.

Zahnklinik

Ungarische Zahnklinik mit Assistenz in Südtirol
Bruneck | Tel. 378 083 2750

Der Dienstwechsel der Apotheken findet jeweils am Freitag um 19 Uhr statt. Die unten angegebenen Öffnungszeiten beziehen sich auf Werktage. Am Sonntag gelten folgende Öffnungszeiten: 9 - 12 Uhr und 16 - 19 Uhr.
Der Notdienst gilt außerhalb der Öffnungszeiten für dringende Fälle und erfordert die Vorlage eines ärztlichen Rezeptes.
06. - 13. 03 2026
Apotheke SebatumSt. Lorenzen Öffnungszeiten 08:30 - 12:30 / 15:00 - 19:00 Uhr
Tel. Erreichbarkeit: 00:0018:59 Uhr, Tel. 0474 476068
Apotheke Ahrntal - Luttach Öffnungszeiten 08:10 - 12:30 / 15:00 - 18:00 Uhr
Telefonische Erreichbarkeit: 00:00 - 18:59 Uhr, Tel. 0474 671086
Apoteca Alta Badia - Abtei Öffnungszeiten 09:00 - 12:00 / 15:30 - 18:30 Uhr
Telefonische Erreichbarkeit: 00:00 - 23:59 Uhr, Tel. 0471 847152
13. - 20. 03. 2026
Apotheke Kron - Reischach Öffnungszeiten 08:30 - 12:30 / 15:00 - 19:00 Uhr
Tel. Erreichbarkeit: 00:0023:59 Uhr, Tel. 0474 548440
Apotheke Pütia - St. Martin in Thurn, Öffnungszeiten: 08:00 - 12:00 / 15:00 - 19:00 Uhr
Tel. Erreichbarkeit: 00:0023:59 Uhr, Tel. 0474 523020
Apotheke Kiens - Kiens Öffnungszeiten 08:00 - 12:00 / 16:00 - 18:00 Uhr
Tel. Erreichbarkeit: 00:00 - 23:59 Uhr, Tel. 0474 564077
www.provinz.bz.it/gesundheit-leben/ gesundheit/turnusapotheken.asp


















