Skip to main content

The Probe March 2026

Page 1


60% of people could be at higher risk for dental caries.*

Is your patient one of them?

60% of people could be at higher risk for

caries.* Is your patient one of them?

Colgate® PreviDent® provides the protection your patients need to help make their last cavity their last.

Colgate® PreviDent® provides the protection your patients need to help make their last cavity their last.

Anna, 61

More than 1 in 4 present with active caries1-4

Are you aware of your patients’ caries risk factors?

Anna, 61

Anna, 61

Exposed roots

Gingival recession Antidepressants Frequent snacking

Jaycee, 11

Mason, 6

Calvin, 24

Frequent snacking

Gingival recession Prescription medicationsOrthodontic appliances 42% of adults1 66% of adults2 Gingival recession Antidepressants Frequent snacking

Gingival recession Prescription medicationsOrthodontic appliances 42% of adults1

To help your patients prevent and reverse caries, visit colgate

To help your patients prevent and reverse caries, visit colgate

Calvin, 24
Carole, 28

Colgate® PreviDent®

Colgate® PreviDent® provides the protection your patients need to help make their last cavity their last. To help your patients prevent and reverse caries,

Anna, 61

Anna, 61

Exposed roots

Gingival recession

Mason, 6

Calvin, 24

Frequent snacking

Antidepressants

Frequent snacking

*"Caries risk and social determinants of health," JADA, December 2022

*"Caries risk and social determinants of health," JADA, December 2022

Assess their caries risk, and consider prescribing high fluoride to increase caries control5 Be confident prescribing Colgate® Duraphat®, the brand your patients

1 “Periodontal Disease in Adults (Age 30 or Older).” National Institute of Dental and Craniofacial Research, U.S. Department of Health and Human Services, www.nidcr.nih.gov/ research/data-statistics/periodontal-disease/adults

2 Georgetown University. “Prescription Drugs” Health Policy Institute, 2019, hpi.georgetown.edu/rxdrugs/

1 “Periodontal Disease in Adults (Age 30 or Older).” National Institute of Dental and Craniofacial Research, U.S. Department of Health and Human Services, www.nidcr.nih.gov/ research/data-statistics/periodontal-disease/adults

3 “Does Dental Insurance Cover Braces?” Humana.com, www.humana.com/dental-insurance/dental-resources/dental-braces

2 Georgetown University. “Prescription Drugs” Health Policy Institute, 2019, hpi.georgetown.edu/rxdrugs/ 3 “Does Dental Insurance Cover Braces?” Humana.com, www.humana.com/dental-insurance/dental-resources/dental-braces

‘A Badge of Dishonour’: Child tooth extractions see sharp 11% rise

New statistics released by the Office for Health Improvement and Disparities (OHID) have revealed a spike in the number of children undergoing hospital tooth extractions. In the financial year ending 2025, 33,976 children and young people (aged 0-19) underwent extractions due to tooth decay—an 11% increase compared to the previous year.

The data confirms that despite being a wholly preventable condition, tooth decay remains the number one reason for hospital admissions among young children in England.

The 2025 report highlights a deepening oral health crisis, with the financial burden on the NHS growing alongside the number of procedures. The cost of decay-related extractions for the 0-19 age group has climbed to £51.2 million, up from £45.8 million just twelve months ago.

For the youngest patients, the figures are particularly stark. Children aged 5-9 remain the most affected group. In 2024/25, 21,162 children in this age bracket were admitted to hospital for tooth decay. To put this into perspective, this is 65% higher than the number of children admitted for acute tonsillitis (13,667), traditionally the second most common cause for admission.

The report also exposes the widening gap of health inequality across the UK.

Children living in the most deprived communities are now 3.5 times more likely to undergo a hospital extraction than those in the most affluent areas.

Geographical disparities remain extreme. While regions like the East Midlands reported lower rates, areas such as Yorkshire and the Humber continue to see rates significantly higher than the national average, reflecting a “dental desert” effect where access to routine NHS care is most restricted.

The British Dental Association (BDA) has reacted with fury to the figures. BDA Chair

Eddie Crouch described the statistics as a “badge of dishonour for governments past and present”.

“Tooth decay cannot go unchallenged as the number one reason for child hospital admissions,” Crouch remarked. “While targeted preventive programmes like supervised toothbrushing are now in place, there is still little sign that the government is willing to rebuild access to care. Dentists can’t nip these problems in the bud if we don’t get to see the patients in the first place.”

The latest data suggests that while some preventative schemes are reaching up to 600,000 children in nurseries, the “recovery” of NHS dentistry has stalled. Recent figures show that 43% of children have not seen an NHS dentist in the past year.

The BDA and other leading health bodies are calling for:

• Urgent Dental Contract Reform: To make NHS dentistry a viable career and increase capacity.

• Targeted Investment: Moving beyond “stop-gap” urgent care funding toward long-term preventative check-ups.

• Water Fluoridation: Expanding public health measures to protect the most vulnerable communities.

As the costs – both human and financial –continue to rise, the message from the dental profession is clear: the current

situation is not inevitable, but the result of sustained political choices.

Also commenting on the data, Jo Cooper, General Manager, Haleon UK&I, said: “This significant rise is a worrying reminder that too many are still experiencing preventable oral health problems. Prevention must be prioritised, with stronger action to help families build good oral health habits from an early age.”

Meanwhile, Dr Charlotte Eckhardt, Dean of the Faculty of Dental Surgery (FDS) at the Royal College of Surgeons of England (RCS England), explained that, “No child should be hospitalised for a disease that is almost entirely preventable. Tooth decay is causing unnecessary pain, missed school days and avoidable hospital admissions at a higher rate in 2025 than the year before. This direction of travel must be reversed.

“Evaluation of the supervised toothbrushing scheme is a welcome step. It will give us a clearer picture of what works and where further improvements are needed. If the government is to meet its goal of transforming the NHS dental system by 2035, it must ensure every child can see a dentist when they need to. A postcode must never dictate a child’s health.”

The British Society of Paediatric Dentistry (BSPD) has called for the expansion of initiatives such as Child Friendly / Focused Dental Practices (CFDP), which have been shown to successfully treat two thirds of children who would otherwise have been referred into stretched community or hospital dental services.

Dr Oosh Devalia, BSPD President, said: “Care must be taken not to read too much into variations in the hospital episode statistics just released, since this information is not a complete data set. For example, activity within Community-based services is significant and often not included. BSPD

urges policymakers to keep a steady focus on the priorities that we know will help turn around children’s oral health – such as supervised toothbrushing, community water fluoridation and early access to dental teams.

“Last year I issued my BSPD President’s Charter which outlined nine priorities to support children and young people to enjoy good oral health. These guidelines for policymakers include the integration of oral health into other healthcare settings, with initiatives such as Mini Mouth Care Matters, the enabling of children and young people with special educational needs to be able to benefit from oral health initiatives and every child having access to oral health information in a language and format they can understand. We also need to cut under 16s’ sugar consumption – and importantly push for every child to have a ‘dental home’, with access to a dental check by their first birthday. Together these interventions will get to work on bringing the hospital episode numbers down for children.”

Lianne Scott-Munden, Clinical Quality, Complaints and Risk Manager at Denplan added her insight: “Urgent and meaningful reform that reflects how the dental sector operates whilst supporting both patients and practitioners, and embedding prevention at its heart is essential. We know that young people living in the most deprived communities face the greatest barriers to care and are more than three times more likely to have a tooth extracted due to decay than those in more affluent areas.

“Ensuring nationwide access to suitable dental care and removing the barriers that prevent everyday people from receiving timely, frequent treatment is vital. Policymakers, dental professionals and the wider healthcare system must continue to champion longterm, prevention led solutions that improve oral health outcomes for everyone.”

Sometimes, before we even start putting the next issue of The Probe together, we already know it’s going to be particularly special edition. On other occasions, an issue naturally forges itself as a diamond of an instalment during production. This issue is one of the latter.

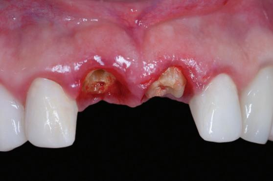
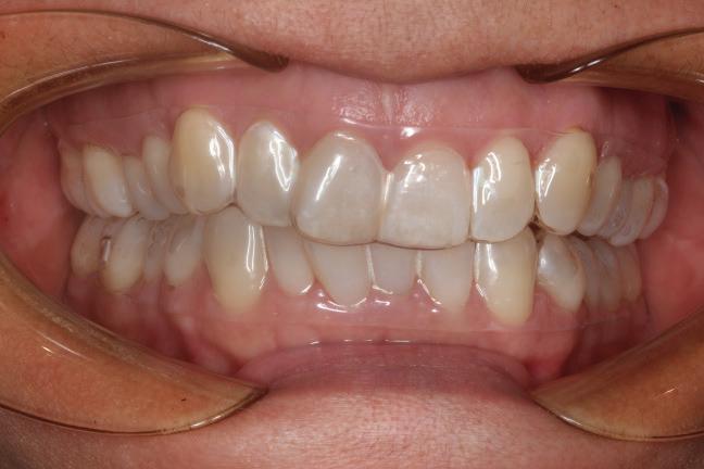
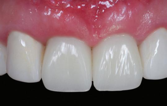
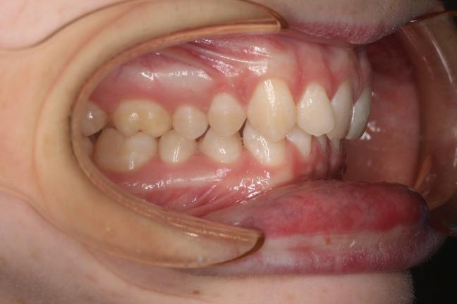
Not only is there a trio of CPD articles (plus an extra two for those of you clutching the physical edition), but we also have a fascinating case study in which Dr Adbelsalam Elaskary demonstrates a novel surgical technique developed to overcome the challenges of treating the compromised extraction socket with immediate implant protocols. That’s over on page 50. I must also add that Dr Marian Vallina’s piece on page 24, which examines Vital Pulp Therapies in permanent teeth, also caught my attention and is well worth a read.

Meanwhile, on 34, Raj Rattan considers the future of dentistry in light of AI advances – a white-hot topic right now. Of course, Raj is in a key position to offer some incredible insight, both as a practitioner, and from a legal and ethical perspective in his role as Dental Director at Dental Protection.

And finally, rounding out the issue in our Business & Finance section, Abi Greenhough of Lily Head Dental Practice Sales discusses the practicalities for practice owners of selling to an associate on page 58. However, on page 60, Samantha Hodgson from PFM Dental flips this on its head and offers advice for the associate offered the chance to purchase. There’s more I’d like to highlight, such as the return of Barry Cockcroft on page 14, or the reveal of the Dental Awards judges on page 36. But, alas, I’m out of space. Enjoy the magazine!

The Probe is published by Purple Media Solutions.

Registered in England. Registered number 5949065

Managing Editor: James Cooke

Commercial Director: Gary Henson

Divisional Administrator: Francesca Smith

Production Designer 1 : Lorna Reekie

Production Designer 2: Rob Tremain

Digital Content Manager: Stephen Wadey

Circulation Manager: Andy Kirk

Managing Director: Ed Hunt

Regular Contributors: Lisa Bainham, Nigel Carter, Barry Cockcroft, Ollie Jupes and Pam Swain

E-mail news, stories or opinion to james.cooke@purplems.com

Circulation/Subscriptions: The Probe Subscriptions, Perception SaS, PO Box 304, Uckfield, East Sussex, TN22 9EZ, Tel: 01825 701520, https://purplems.my-subs.co.uk ©Purple Media Solutions Ltd, 2014. All rights reserved. ISSN 0032-9185. The publisher’s written consent must be obtained before any part of this publication may be reproduced in any form whatsoever, including photocopies, and information retrieval systems. While every effort has been made to ensure that the information in this publication is correct and accurate, the publisher cannot accept

liability for any consequential loss or damage, however caused, arising as a result of using information printed in this magazine.

The views expressed in The Probe are not necessarily the views of the magazine, nor of Purple Media Solutions

Editorial Advisory Board: Dr Barry Oulton, B.Ch.D. DPDS MNLP; Dr Graham Barnby, BDS, DGDP RCS; Dr Ewa Rozwadowska, BDS; Dr Yogi Savania BChD, MFGDP; Dr Ashok Sethi, BDS, DGDP (UK), MGDS RCS; Dr Paroo Mistry BDS MFDS MSc MOrth FDS (orth); Dr Tim Sunnucks, BDS DRDP; Dr Jason Burns, BDS, LDS, DGDP (UK), DFO, MSc; Prof Phillip Dowell, BDS, MScD, DGDP RCS, FICD; Dr Nigel Taylor MDSc, BDS, FDS RCS(Eng), M’Orth RCS(Eng), D’Orth RCS(Eng); Mark Wright BDS(Lon), DGDP RCS(UK), Dip Imp Dent.RCS (Eng) Adv. Cert, FICD; Dr Yasminder Virdee BDS.

Scan to explore The Probe’s back catalogue online or visit the-probe.co.uk/issues

Dr Marian Vallina Practice Principal Dental Referral Centre
Dr Abdelsalam Elaskary Founder Vestibular Socket Therapy
Dr Rachael England Head of Policy and Advocacy Oral Health Foundation
Dr Barry Cockcroft CBE Former Chief Dental Officer for England
Dr Rana Al-Falaki Founder MedDent Academy
Raj Rattan Dental Director Dental Protection
Abi Greenhough Managing Director Lily Head Dental Practice Sales
Samantha Hodgson Finance Broker PFM Dental

New meaning to the phrase ‘NHS Reform’

Iabandoned X (I still prefer to call it Twitter) a year or so ago – mainly because I ‘raged against the dying of that good light’ that came from a decent community of well-informed dental professionals who similarly couldn’t stand dwelling on a platform that had become a cesspit inhabited by MAGA morons and xenophobic Reform advocates.

The demise of dental Twitter has been quite sad for me. I made a few friends on the platform and met a handful of dental professionals face-to-face in various locations. I even met a very funny American dentist I followed, who had flown in from Boston for a holiday with her husband. I travelled down to London from the Midlands, just for lunch. We had a lovely meeting, followed by a fruitless search for a suitable outlet for frozen yoghurt (apparently a delicacy much favoured by Bostonian dentists).

A few days ago, on a whim, I logged into X to find a fresh private message sitting in my inbox, which had been posted (again, I prefer to call it ‘tweeted’) only a couple of hours earlier. It was a sweet and touching message from a dental student I started following years ago, before she started university. She was a qualified dental nurse and had decided to become a dentist. We communicated a few times prior to her going through the application process. She expressed some anxiety at taking such a big step – worrying over whether she was ‘up to the task’. As a mature student myself, coming from a completely unrelated profession, I fully appreciated that it was a big step for her, but since she was clearly a bright spark, I encouraged her to bite the bullet.

The gist of her message was that she appreciated my encouragement, and it was delightful to receive such a message, especially in the light that she had just passed her final written examinations. I have little doubt that her practicals will be a breeze.

After I sold my practice in 2013, following 19 excruciating years of sole ownership, I went back to being an NHS associate in a corporate practice about 25 miles away. At my new practice, I was rejuvenated. After spending nearly two decades of as-near-as-dammit sole practice (I had two middle-aged part-time associates), I was suddenly in a lively practice surrounded by several young, enthusiastic, European dentist colleagues, as well as a sage, older, associate colleague who had also found refuge from practice ownership.

I was in dental Heaven. Not only did I feel inspired by the enthusiasm, knowledge and skill of my younger, European colleagues but I actually enjoyed my dentistry for the first time in 20 years.

Not only were the dentists lovely to work with, the dental nurses were an absolute joy and, after I retired, I kept in touch with most of my colleagues (my senior colleague sadly passed away a year ago) and I still meet up with them regularly.

I was really chuffed a few years ago when three of my dental nursing colleagues decided to go to university to take their careers in dentistry further. Two of them opted for a course in dental therapy at my old dental school, whilst the other went

off to study dental hygiene at a London university. All three are approaching their finals in the next few weeks. I have little doubt that they, too, will excel.

One of the dental therapy students I am particularly close to and I have done my utmost to try and quell her anxieties as she approaches finals despite the fact that I spent almost the entirety of my 35 years as a dentist and dental student a quivering sack of anxiety and neuroses.

But as all these youngsters prepare to launch their dental careers, I can’t help but worry about what future they face with dentistry. It appears to me, as an outside observer, to be in turmoil. I hear many graduates find the current NHS contract and workload extremely demanding, with high patient volumes and time pressures.

This surely must influence stress levels and job satisfaction – it certainly affected me during my career. And, if young dental professionals are under such workloads and time pressures, it must surely raise the prospect of errors of judgement being made, leading to an inevitable rise in the risk of litigation.

For some years after I qualified, I didn’t personally know any dentist who had been at the end of dental litigation or action by the General Dental Council. By the time I retired, pretty much every dentist I knew (plus the new ones I’d met on Twitter) had been at the end of some patient complaint that had gone further than a mere grumble to the receptionist. I actually once had a patient tell my practice manager that he and his wife would never come back to the practice because he didn’t like the music I played in the surgery: Mike Oldfield’s Tubular Bells III . I concluded that I could take the hit.

When I took my brief excursion back onto Twitter the other day, I scrolled through and was hit in the face by a reply to one practitioner’s tweet, which said something like ‘new graduates should be MADE to work in the NHS for 10 years after graduation.’

‘MADE to work in the NHS.’

‘Made to,’ as if it’s some sort of punishment, like community service.

I got what the author of the tweet was saying: if you’ve got an NHS workforce shortage in dentistry, make it impossible for the new contingent of dentists to progress their careers in the UK without enduring a decade tethered to a, frankly cruel, contract created by the Labour government in the mid-2000s.

It was after enduring two years under the new contract (At that time, we were completely NHS in my practice) that I was encouraged by one of my savvy associates to attend a regional conversion course arranged by a dental plan company. At the lunchtime break, when the dental company’s representatives were out of the room, I asked a handful of the other attendees whether they would be sitting there if the remuneration and conditions in the NHS were fair. They all said, “No.”

As a retired practitioner, I’m often asked by acquaintances for recommendations for a good NHS dentist, followed by the question, “Are they taking on?”

My answers are usually “no” and “no” (the former answer being because I don’t know many NHS practitioners locally anymore).

I worry about practitioners who are valiantly struggling to keep afloat in the NHS and the new graduate dental professionals who are about to launch their careers in the health service. But, above all, I feel for the estimated 13 million adults who are unable to access health service dentistry. The current NHS dental system is an abomination, but most of the main political parties are at least paying lip service to improving the contract, even if nothing has actually occurred of any significance in the past two decades.

What REALLY bothers me, though, is the rapid rise of Reform UK. We hear all the rumours about Farage (I will only ever pronounce it ‘Farridge’) having plans to privatise the NHS and, with the lack of

an actual NHS policy on the Reform UK website, it’s difficult to conclude that health service dentistry will survive should the political apocalypse happen. I scrolled through the Reform website this morning and screen recorded it. Try it yourself. Go to ‘Our Policies’ and you won’t find a Reform policy on the NHS. These are all in order. The first policy is ‘Stop the Boats,’ followed by ‘Secure and Defend Our Borders,’ ‘Deport Illegal Migrants,’ Scrap ILR to Avert the Boriswave,’ ‘Restore Britain’s Sovereignty,’ and so on. The one that really p****s me off is policy no. 18 which is ‘Dramatically Cut Foreign Aid.’ NO official policy on the NHS, although it does include a page in its document ‘Our Contract with YOU’ (sic), which discusses providing ‘Tax Relief of 20% on all Private Healthcare and Insurance,’ and harnessing ‘independent and not-for-profit health provision in the UK and overseas.’ Chilling. In my opinion, if Reform UK do succeed in the next general election and Farridge does become Prime Minister, the health service (let alone the general dental service) will be run by people, apart from the Tory defectors, who have no idea about running a critical and complex organisation. You’d be better off appointing a troop of baboons to do the job – except they would be distracted by whispering about the baboon in the corner who is working the pulse oximeter with an abacus – because he’s not a native of Clacton. Is it just me who thinks we’re all doomed? Anyway. Good luck with your exams everybody. Don’t fret about the future. It’ll all work out fine. n

About the author ollie Jupes is the pseudonym of a former nHs dentist. He monitors dentistry on twitter X as @DentistGoneBadd

Margins to mainstream

As dental professionals, we do not need convincing that oral health is inseparable from general health. We see the links daily – diabetes destabilised by periodontitis, oral cancer detected in a routine exam, children in pain who cannot eat, sleep, or learn. Yet, at a system level, oral health still sits at the periphery of health policy. This month, we have published a policy brief, ‘Oral Health Landscape 2026’, to address that imbalance. Its central message is simple but urgent: if oral health is not embedded in England’s 10-Year Health Plan, the plan’s ambitions on prevention, inequality, and system sustainability will fall short.

Burden and priority mismatch

Oral diseases remain among the most common non-communicable conditions, sharing risk factors with obesity, diabetes, cardiovascular disease, cancer, and respiratory illness. The same drivers – free sugars, tobacco, alcohol, deprivation – shape both oral and general health outcomes.

Despite this, dentistry is still largely framed through access problems and contract reform rather than as a cornerstone of prevention. That framing underestimates both the scale of disease burden and the economic consequences. Dental pain continues to divert patients to GPs and A&E. Extractions under general anaesthetic remain one of the most common reasons for hospital admission among young children. Adults delay care due to cost, only to present later with more complex need. For a health system seeking to move ‘from sickness to prevention,’ this is a structural blind spot.

why this moment matters

The NHS is undergoing a deliberate shift – from hospitals to communities, analogue to digital, and intervention to prevention. These priorities mirror the direction of travel set by the World Health Organization global oral health strategy. Oral health is not an outlier here – it is a test case. Few areas demonstrate the return on prevention, the impact of inequality, and the cost of late intervention as starkly as dentistry.

Our brief argues that oral health should be used as a lever to accelerate these reforms, not treated as a downstream service issue.

what we are calling for and why

A ring-fenced prevention fund

We know supervised toothbrushing, fluoride varnish, fissure sealants, and sugar reduction policies work. We also know they are patchy, short-term, and vulnerable to local budget pressures.

The proposal to ring-fence a small share of revenues from health taxes on tobacco, alcohol, and sugary drinks is about policy coherence. If these products contribute to disease burden, it is rational that a portion of the revenue supports mitigation.

For clinicians, this is not abstract economics. It is fewer children needing extractions, fewer adults progressing to advanced disease, and more capacity to focus on complex care rather than preventable crisis.

oral health embedded in integrated Care Board planning

Too often, dentistry sits outside mainstream system design. The brief calls for oral health to be explicitly commissioned within NHS England Integrated Care Board frameworks, with:

Dr Rachael england explains why oral health must shape the NHS’s next decade

• DCP-led stabilisation clinics.

• Community urgent care hubs.

• Oral health screening integrated into primary care.

This is about redistributing risk, not just workload. When prevention, stabilisation, and early intervention happen in community settings, hospital demand falls and inequalities narrow. Dental teams become active contributors to population health management, not isolated providers.

Digital integration, not digital isolation

Dentistry has often been technologically advanced chairside but disconnected systemically. Oral health indicators rarely appear in mainstream NHS dashboards. Data on outcomes, inequalities, and preventive performance remain fragmented.

Including oral health within digital performance frameworks – alongside AI-supported triage, risk stratification, and patient engagement tools – brings dentistry into the same accountability and improvement architecture as the rest of healthcare.

For the workforce, digital learning and remote training also address retention and skill-mix challenges, particularly in underserved regions.

equity as much as efficiency

Oral diseases follow the social gradient more steeply than many other conditions. Pain, tooth loss, and oral cancer disproportionately affect those with the least access to care and the greatest exposure to risk factors.

Embedding oral health into prevention policy is therefore a levelling-up measure. It tackles visible inequalities – the child

missing school, the adult unable to smile confidently at work – while also reducing long-term NHS costs.

A profession-wide opportunity

This brief is not a critique of dentistry –it is a challenge to the system around it. Contracts, access and workforce capacity remain fundamental to what NHS dentistry should deliver, and government progress here is still too slow. I often speak with dental teams who feel that strain every day: rising need, limited capacity, and patients struggling to secure care. Those realities cannot be ignored.

But the solution is not to frame dentistry only as a service in crisis. It is to reposition it. The dental workforce is one of the NHS’s most underused preventive assets. When oral health is embedded in prevention policy, community care models and digital reform, dental professionals move from the margins to the mainstream of health delivery. This keeps contracts, access and workforce central, but adds influence. It places dentistry at the heart of how the system tackles prevention, inequality and long-term value. Without that shift, we will remain a high-pressure service managing diseases we already know how to reduce, without the system support to do so. n

About the author Dr Rachael england, Head of policy and Advocacy, oral Health Foundation.

World Oral Health Day could be a practice priority

With adult decay rates soaring, we can no longer afford to wait for patients to come to us. polly Bhambra explains why World Oral Health Day is the perfect catalyst to take your team into the heart of the community

If you have been keeping an eye on the headlines lately, you know that the ‘clinical status quo’ in England is under fire. With 41% of adults now showing signs of decay, we are facing an oral health regression that should give every dental professional pause. The reality is that for a significant portion of the population, the dental surgery feels like a distant, inaccessible island.

As we approach World Oral Health Day (WOHD) on 20 March, we have an opportunity to change that narrative. For me, WOHD isn’t just a date in the calendar for a branded social media post; it is a permission slip for the entire dental team to break from the surgery and engage with the people who need us most: the non-patients.

the psychology behind a community visit

There is a profound shift in the patientpractitioner dynamic when we leave the clinic. In the surgery, the environment is controlled, clinical and, for many, intimidating. When we take our expertise to a local school or a community hub, we meet people on equal footing. I’ve seen it happen time and again: a person who hasn’t seen a dentist in a decade

will approach a staff member at a community event to ask a “quick question.” That question is often the first step in addressing years of neglected oral health. By being present and approachable, we humanise the profession and dismantle the barriers of fear and misinformation.

putting the mouth back in the body

World Oral Health Day is our best platform to shout about the fact that the mouth is not an island. As a team, we understand the bi-directional link between periodontal health and diabetes, or the connection between oral inflammation and cardiovascular disease. The public, however, often still views dentistry as cosmetic or isolated. When we get out into the community, we aren’t just talking about toothbrushes; we are talking about total health. Explaining to a diabetic patient how gum health affects their glycaemic control is a powerful piece of preventative medicine. It positions the dental team as essential healthcare providers.

Utilising the whole team

As a practice owner, I view WOHD as a showcase for the incredible skill mix within our profession. While the dentist is the

clinical lead, our dental nurses, therapists and hygienists are often our most effective community ambassadors.

The upcoming 2026 contract reforms place a heavy emphasis on preventative activity. WOHD is the perfect dry run for this. Empower your nurses to lead oral health education (OHE) sessions. Let your therapists head up fluoride varnish initiatives in local schools. This doesn’t just benefit the public; it builds mental wealth within your team by reconnecting them with their professional purpose.

turning awareness into action

How can your practice make an impact without overstretching your resources?

• Identify local hubs: don’t wait for an invite. Reach out to local food banks or elderly care centres. Offer a 20-minute ask-the-expert session

• Keep the message simple: focus on ‘bright bites’ – actionable, low-cost advice. “Spit, don’t rinse with water,” or “Swap one sugary snack,” are messages that stick

• Document the impact and share your outreach on social media. This shows prospective patients that your practice is a community asset that cares about more than just the bottom line.

treat the system

We are currently paying the price for a dental system that has focused on reactive treatment for too long. Recent UCL data is proof that the ‘drill and fill’ model cannot keep pace with the current crisis. World Oral Health Day is our chance to prove that we are ready for a different approach. By taking our skills into the community, we aren’t just raising awareness; we are building trust and reclaiming our role as integral members of the wider healthcare system. Let’s get out there and show the public what modern, holistic dentistry actually looks like. n

About the author polly Bhambra, is practice owner at treetops Dental surgery, a dental nurse and passionate advocate for team culture and mental health in dentistry. she writes regularly on leadership, the elevation of nursing, and the future of holistic dental care.

Neurodiversity in the dental practice

March 16 marks the start of Neurodiversity Celebration Week 2026, an international initiative to raise awareness and campaign for better support for people with neurological differences. This year’s event will focus on how employers and organisations can bring down barriers within employment and workplace policies and create a more inclusive culture.

What is neurodiversity and why does it matter?

It’s been estimated that one in five people in the UK are neurodivergent, which is an umbrella term for several different conditions that can range in severity. These include Autism, Attention Deficit Hyperactivity Disorder (ADHD), Dyslexia, Dyspraxia, Dyscalculia and Tourette Syndrome.

Diagnoses of neurodivergent conditions, especially ADHD and Autism, have increased in recent years as awareness and acceptance have grown, and diagnostic definitions have changed.

Having a neurodivergent condition can make it hard to deal with certain situations, from crowds and noise to disrupted routines and social interactions (although many are practised at ‘masking’ their symptoms). On the other hand, neurodiversity can also be associated with characteristics that are an asset in any dental practice, such as creative thinking, memory and attention to detail. Equally, failure to make reasonable adjustments or policies that lead to indirect discrimination could also leave your practice vulnerable to a complaint or legal action. Although neurodivergence is not

itself a disability under the Equality Act 2010, a neurodivergent condition would be a protected characteristic if it has “a substantial and long-term” adverse effect on someone’s ability to carry out normal daily activities. Recent analysis of HM Courts and Tribunal Services revealed that employment tribunal claims linked to ADHD rose by 750% since 2020 while Autism-related claims rose by 96% over the same period. Be aware that it’s possible for an employee to bring a claim of discrimination without a formal diagnosis.

Your professional obligations

The GDC is clear about the importance of treating patients and colleagues with respect and not discriminating against them in Standards for the Dental Team:

• You must consider patients’ disabilities and make reasonable adjustments to allow them to receive care which meets their needs. If you cannot make reasonable adjustments to treat a patient safely, you should consider referring them to a colleague. (1.6.3)

• You must find out about, and follow, laws and regulations affecting your work, including human rights and equality (1.9.1)

• If you manage a team… you should make sure that all team members, including those not registered with the GDC, have a work environment that is not discriminatory (6.6.1)

• You must treat all team members, other colleagues and members of the public fairly, with dignity and in line with the law (9.1.1)

The regulator has also highlighted the importance of equality, diversity and inclusion (EDI) in its latest Corporate Strategy 2026-28. It plans to ‘develop a guidance framework highlighting registrants’ EDI-specific responsibilities when treating patients’ and include handling of discrimination cases in its guidance on fitness to practise decision making.

DDU advice

Not all neurodiverse people will expect – or want – special treatment but being aware of these differences and navigating them professionally should benefit your relationships with others and ultimately benefit your practice. Here are the DDU’s top tips:

• Foster an open and empathetic workplace culture where colleagues feel it’s safe to talk and don’t feel under pressure to ‘mask.’ Take dismissive attitudes or derogatory comments by team members seriously as this could constitute bullying and discrimination.

• Raise awareness with information about neurodiversity (Health Education England has a webpage with resources for educators and learners and NHS Employers has recently published an article on embracing neurodiversity with tips and links to further information).

• Organise training to help staff understand why colleagues and patients might be struggling and what they can do to support them. All CQC-registered service providers are currently legally required to ensure staff have appropriate training on learning

disability and autism under the Health and Care Act 2022 (see the CQC guide for more information).

• Ensure you have a clear practice Equality and Diversity policy to promote fair and inclusive treatment of neurodiverse staff and patients. It should define terms such as protected characteristics, explain different forms of discrimination and set expectations for everyone in the team. ACAS has just produced a guide for employers on neurodiversity in the workplace which looks at how you can make your organisation neuroinclusive.

• Explore what reasonable adjustments you can make to support someone with a neurodivergent condition. Examples might include adapting your communication style, offering headphones for patients to block out noise, longer appointment times, a quiet space for staff who are feeling overwhelmed, and checking in more frequently. Bear in mind that everyone is affected differently so it’s usually better to ask someone about their individual needs and strengths.

• Consider if neurodiversity might be a factor when concerns are raised about someone’s behaviour. An informal discussion could resolve issues more effectively than disciplinary action. 

About the author

David Lauder, Dento-legal Adviser at the Dental Defence Union (DDU).

NEW Universal Distiller De-scaler

Designed for professional use in dental practices

Where are we and where do we go from here?

Most of the articles published on the future of dental issues seem to be written from the perspective of dentists but in reality we should look at things from the point of view, and aspirations of, patients, the whole dental workforce, taxpayers and individuals who, one way or another, fund dental services, be it as taxpayers, through NHS charges or directly if treatment is provided privately.

Having been involved in dentistry for over 50 years and having seen things from the perspective of a provider of services, a dentist trade union representative, a policy maker, a board member of a corporate provider and, mostly lately, as a patient, it gives me an opportunity to be objective and not driven by personal interests.

Oral health is undoubtedly much improved now from where it was 50 years ago but inequalities and areas of need still exist. Unfortunately, services and commissioning have not evolved as quickly and this needs to be addressed to take advantage of new opportunities that now exist.

When I graduated, around 40% of the adult population was edentulous and life expectancy was far lower than it is now. So, care for the older, largely dentate population is now a far greater priority that will continue to grow.

Similarly, the disease profile in our young population has changed massively. When the first child dental health survey was carried out in 1968, roughly 70% of fiveyear-old children suffered from dental caries with an average dmf of 4. Today, well over 75% of five year olds are decay free, and the challenge is how to address disease levels in the minority that do suffer from dental disease. The issue here is that this is not something that can be resolved purely through changing practices in dental surgeries but, like many other health issues today, needs tackling in the home, in the wider community or in the retail environment.

The evidence-based principles of prevention are not complex and we seem to have a government that has recognised the importance of prevention in all areas of health as it tries to move the NHS from a treatment service to a health service. Not easy when waiting lists and access to services grab the headlines so easily! Not only has disease prevalence reduced significantly but the available workforce, treatment options and patient expectations have also changed, though service delivery systems have not adjusted to keep pace.

The best humour is often based on the real world. I recall the story about a driver stopping to ask a pedestrian how to get to another town and being told that if he was going there he would not start from here! In many ways, this is the situation the NHS finds itself in now. In terms of service design, if there was a clean sheet of paper, the obvious course to take would be to build a system around routine care being delivered by people trained and educated to deal with a largely dentally fit population and with the ability to refer complex or demanding cases to clinicians equipped and trained to deal with them. Service would be built around prevention of disease rather than waiting for it to develop and then treating it. Of course, as Chair of the British Fluoridation Society, I would identify areas where fluoridation was feasible and needed, and implement new schemes.

All this sounds logical (to me) but there are many confounding factors that make a transition either difficult or impossible. NHS services are largely delivered by independent contractors who have open ended contracts, which cannot legally be unilaterally changed by the NHS if they are being delivered on.

During discussions with the Department of Health in the early 2000s, the British Dental Association had an oft stated position that dentists working in the NHS should receive the same remuneration for the same amount of service delivered after transition.

Given that the nature of the service to be delivered was changing rapidly, this became a real challenge. Similarly, around £1billion of the money that funds NHS dentistry comes through patient charges. Evidence from previous piloting shows that moving to a risk-based capitation system, the way to go if starting with a clean slate, leads to a significant reduction in patient charge revenue income for the NHS.

There is now much greater diversity and expertise in the wider healthcare workforce but the most vocal representatives continue to represent doctors and dentists, despite the expansion in the scope of practice of other members of the team.

I recently had a knee replacement, which was carried out by a consultant orthopaedic surgeon in a private hospital under a contract with the local NHS. Yet, the initial consultation was with a nurse practitioner at my primary care practice and the follow ups were carried out by physiotherapists as well as nurse practitioners.

Dentistry has shifted from a service dealing with patient needs to one

addressing a mix of needs and wants –some of the latter often not in the patient’s best interests. Healthcare has become a global business, with people travelling abroad for ‘cheaper treatment’ without any understanding that complex treatment needs monitoring and maintenance.

As in all areas of healthcare, there is a mix of NHS and non-NHS provision but the nature of this combination is often different in the dental world. Many nonNHS practices provide basically the same services as their NHS counterparts and patients may be forced into accepting this if there is no NHS service available locally.

The existence of patient charges for NHS services makes the difference particularly confusing. I have often heard patients say they are pleased with their private provider because they treat their children free of charge, not realising that the NHS is paying for their child’s care. Patient charges are a political minefield; the number of prominent NHS medical providers who came to see me when I was CDO, asking how we managed patient charges, was legion and I am sure if charging for some non-urgent medical care was an option then many would jump at it. The politician who suggested this though would, in the words of Sir Humphrey Appleby, be very courageous!

Private and NHS care must work together. My knee replacement was carried out in a private hospital under a contract with the NHS, meaning I did not have to wait too long and space was freed up in the local NHS hospital for more complex cases. If I had suffered complications and needed intensive care, then I would have been rapidly transferred back into the NHS hospital. (There is no profit in intensive care!)

what is likely to happen?

I see little enthusiasm at the centre for making changes to the primary legislation surrounding dentistry. The recent changes announced at the end of last year and implemented from 1 April are largely a step in the right direction but, in reality, could have been introduced earlier with some positive commissioning. If you have a commissioned system then the quality and capacity of commissioning teams is vital. Incentives for DCPs to get more involved in delivering prevention are clearly good but they can do much more.

The scope of practice for DCPs has widened considerably but there remain blockages in the system that hinder full utilisation of their skills. Dental therapists can now open and close NHS courses of treatment but, although they are identified

on the forms as providing the treatment, they are not entitled to an NHS pension as dentists are when carrying out the very same treatment. Of course, the finance people at the NHS love this because it reduces the pension bill but amending this anomaly would encourage more therapists to work at the top of their skill set and, potentially, reduce the cost of dental education.

In a world which is more fiscally driven than 50 years ago, market forces are often the major driver of change. When we introduced a new contract for orthodontic treatment on the NHS in 2006, there were very few orthodontic therapists on the GDC list. Now, there are many, because the advanced skill in orthodontic treatment lies in the diagnosis and treatment planning and it does not need a specialist orthodontist to place/remove bands and brackets.

I can see more specialised treatment being provided in the primary care environment, freeing up space in hospitals for work that can only be provided there but, again, this needs greater commissioning expertise than seems to be available at the moment. Perhaps enabling people working in dental primary care to achieve consultant status would move this forward.

General Medical Practice is deemed to be a specialty but General Dental Practice is not. In reality, the latter is more of a specialty than the former.

The changes in techniques we have seen over the last 50 years could not have been imagined in the 70s. People will continue to value healthy mouths and good appearance but some hard choices will need to be made about what the NHS can (and should) provide, while also encouraging sufficient clinicians to work in the NHS and meet patient needs. I don’t believe that clinicians now making a good living from cosmetic work, complex restorative work outside the scope of the NHS or focusing on regular ‘care’ for the worried well will be keen to return to boost the NHS workforce.

A more fundamental change is needed than simply amending NHS contract regulations. But, as Rory Stewart mentioned in his autobiography, policy making is easy, it is the implementation that is difficult. Never was this truer than in the case of dentistry. n

About the author

Dr Barry Cockcroft CBe is a former Chief Dental officer for england and current chair of the British Fluoridation society.

Aesthetics with a system –composites from TOKUYAMA

Specialists & all-round performers: The ESTELITE family is a unique system for modern restorative dentistry based on spherical fillers.

Individual application options thanks to the wide range of viscosities

Excellent polishability & handling repeatedly honoured by The Dental Advisor

High load-bearing capacity thanks to optimally engineered spherical fillers

Rapid depth curing thanks to controlled refractive indices and RAP technology

Practices working hard behind the scenes

To dental patients, a great practice is defined by what they see ahead of them: a calm atmosphere in the waiting area, short wait times, and quality of care. Dental professionals understand that it involves far more than this; the excellence that defines a successful practice relies on a large number of processes behind the scenes –and particularly outside of opening hours.

Discipline and organisation requirements

With growing patient expectations and choice, more compliance demands, the additional management of digital workflows, and looking after staff, the challenges are getting ever higher – alongside exhausting daily clinical workloads.

When behind-the-scenes systems slip, the impact can be immediate and drastic – schedules become delayed, treatment plans are disrupted, stress rises, and patient satisfaction diminishes. Essentially, factors that influence the patient experience include both the clinical results and anything else that contributes to their journey – with everything coming together thanks to what happens in the background.

Setting up days for success

Preparation is, of course, imperative for smooth daily operations. There are many provisions that can structure the schedule before the first patient arrives. Firstly, by designing a predictable workspace with the thoughtful placement of treatment chairs, instruments, and specific zones, clinicians are supported by an ergonomic layout that

streamlines workflows. Studies evidence that well-designed clinical spaces improve staff efficiency by reducing disruptions –assisting safer and smoother workflows.

consistent results

Digital equipment has positively transformed dentistry, but breakdowns have a huge impact on workflow. Preventing malfunction with maintenance is crucial as the sudden failure of integral equipment or vital instruments can not only compromise the current workflow, but also adds immense pressures to the continuum of care in the coming weeks whilst awaiting repairs.

Regular and proactive maintenance should be an essential long-term habit behind the scenes – saving time, stress, and money overall; though it might not seem urgent, a pre-emptive approach can be extremely beneficial. Most equipment does not fail suddenly, but rather, shows signs such as slower cycles or inconsistent performance over time. During quieter periods, services should be scheduled to avoid emergency repairs being required further down the line. Any downtime impacts perceptions of reliability – both in how patients view your care and how confident clinicians are in the tools they work with. Minimising the risk of issues can both boost morale and enhance treatment outcomes.

rely on well-managed stock

Stock is another integral department of a practice that requires attention. If important stock becomes low, this can again stunt workflows, affect treatment plans, and increase chair-time – each of which reduce patient satisfaction.

Ensuring that stockrooms are wellmanaged, with quantities, product types, brands, and expiration dates organised and in supply, is a quiet routine that can have a great impact on the business. Another method of supporting your practice with stock maintenance is by partnering with a supplier that offers reassurance from behind the scenes. Key attributes to look out for include vast and consistent product ranges, reliable and fast delivery, supportive communication, and technical assistance. A supplier that can deliver all these qualities provides not only stock but also reassurance and peace of mind.

How suppliers reassure in the background

Dental Directory is the silent partner that every practice needs for unfaltering success. Reducing the number of complications in your practice, Dental Directory offers a catalogue of tens of thousands of products ranging from consumables to specialist equipment – all reinforced by 50 years’ worth of industry experience – guaranteeing the best care. Fast, free, and temperaturecontrolled delivery are all available, with dependable support always available. Better yet, the team of expert engineers are always on hand to offer preventive

maintenance to equipment – with service plans from as little as 99p – and urgent fixes within 8 working hours should your practice require it.

Working hard behind closed doors

Ultimately, an excellent patient experience relies on a balance between multiple elements, such as clinical outcome and their experience with team members –and it is optimised by every small process occurring quietly in the background. Between patient preparations, proactive equipment maintenance, well-managed stock rooms, and choosing the right supplier to partner with, the actions and habits behind the scenes support a reliably run practice.

With these foundations both well-built and well-cared for, teams feel more supported, clinicians encounter fewer workflow disruptions, and patients are reassured by the reliable care they expect. The silent structures are what hold up strong dental practices, allowing them to flourish in care, reputation, and patient satisfaction.

For more information on the products and maintenance services available from Dental Directory, please visit ddgroup.com or call 0800 585 586 n

about the author Dean Hallows, Managing Director, Dental Directory.

Scaling practice management systems

No two dental practices are the same. This has its advantages; patients can find services that best suit their unique needs, and clinicians can find working environments that match their ambitions, skills and approaches to dental care.

However, with many ways to structure and operate a dental practice, there also comes the need to mould management systems to suit different workflows. Today, many practices will be using digital dental practice management software, as the modern age steps away from physical, paper-based systems. This creates new opportunities for success, with cloud-based solutions enabling management and immediate insight into everyday performance from nearly anywhere.

Clinicians should consider which key insights and statistics will matter most depending on the set-up of the practice, whether it purely serves private patients, NHS patients, or a mix of the two. This will help them find an effective, reliable software that informs every decision appropriately.

On top of the books

When solely providing private dental care, it’s vital that practice teams can track the viability and profitability of treatments, ensuring that they can continue to provide effective care into the future.

A digital practice management system enables professionals to connect information from various areas in the practice, pulling

out key details that can otherwise be timeconsuming to collate. It also avoids the manual processing of medical data, which could otherwise increase the risk of errors across documentation and procedure planning.

For a private dental practice, it would be useful to assess which treatments are being performed and requested most often, and which clinicians in the building are successfully providing such care. Not only could this inform marketing campaigns online and in the local community, but also help professionals tailor their care and potentially seek further training to provide even higher quality services and meet the demands of their patients.

Dental professionals will consider the provision of effective healthcare as their top priority, and business management may be thought of as secondary. Whilst some may embrace the commercial aspect of the role, it can be difficult for many others to confidently tackle each demand. When leading a private practice, however, it’s important to be able to keep track of finances and other KPIs –digital systems not only transform data from spreadsheets into more digestible visuals, but can also do so in real time, giving professionals up-to-date information.

tracking UDas

For a practice operating NHS dental care, adherence to the terms of the pre-agreed NHS dental contract is paramount. There is a delicate balance in providing the correct volume of care, measured through units of

dental activity (UDA), without underserving patients in your community – triggering a financial clawback – as well as overperforming, and leaving the practice without the ability to be appropriately reimbursed. The latter is a problem that has been recognised across the healthcare and political spectrums, but as long as it remains, dental practices need to be able to work effectively within it.

A digital practice management system can be effective by aiding the tracking of UDAs performed, ensuring professionals are on course throughout the year. Should a practice fall behind, the data will present the need to increase services provided to patients, enabling an action plan to be put in place, and reducing the risk of financial clawback. If a practice is ahead, the data can show this information and ensure clinicians can make appropriate and timely decisions.

A practice management system must be certified by the NHS Dental Services (NHSDS). This ensures that the system can transmit NHS dental claims in both test and live environments.

No matter your service or size

Many practices will combine private and NHS care under one roof – or even multiple. In this case, it’s vital that a practice management system can flexibly suit a dental team’s needs, from insights on each stream of care in a single building, to the overall performance of a group of practices.

A chosen service must be able to collate such data, and present it in easily

accessible and interpretable ways, allowing for informed decisions to be made simply and with confidence.

Sensei Cloud, the cloud-based practice management solution from Carestream Dental, supports dental teams with an easier, smarter, more secure and more convenient approach to practice management. The comprehensive system collates a variety of key information and ensures KPIs are presented clearly across financial and performance metrics. Plus, clinicians can easily assess NHS claims, as well as live information on how the practice is performing – with cloud-based capabilities, they can do this from anywhere in the world.

Scaling a practice management system to your needs is paramount, but everyday demands change dependent on the care provided. A flexible system will be able to keep on top of various tasks, giving dental professionals the best opportunities for success.

To learn more about how Sensei Cloud can help your practice thrive, visit gosensei.co.uk.

For the latest updates, follow us on Facebook and Instagram @carestreamdental.uk. n

about the author claire Mccarthy, Senior Director of program & process excellence at carestream Dental.

However you prefer to work...

Eurus S6

Flagship, compact folding legrest

Eurus S1

Over-the-patient delivery system

Eurus S8 Fully ambidextrous holder type delivery

we have a Eurus treatment centre perfect for you

Come & experience our Eurus treatment centres on Stand F10 at the BDIA Show London 13th & 14th March

Perfecting the art of dentistry

Maintain your dental equipment for a trouble-free year

Regular attention to your dental equipment helps keep your practice running efficiently. A well-cared-for dental chair can improve your practice, creating a clean, comforting, and professional space for your patients while also helping to avoid unnecessary equipment problems.

Here’s a quick look at the key maintenance areas that really benefit from daily and weekly care. These simple tasks only take a few minutes but can offer lasting value for both your practice and your equipment.

Suction filter

One of the most essential parts of any dental chair is the suction filter, which is vital for keeping strong and reliable suction throughout the day. You can find it conveniently located at the back of the chair on all A-dec dental chairs, for example, making it easy to access and clean. Just lift the lid, take out the filter basket, give it a good rinse, and pop it back in place. It’s important to do this daily to avoid any buildup of debris, but you only need to replace the filter itself every couple of months. Regular cleaning ensures proper airflow and helps prevent blockages, so your equipment runs smoothly even on the busiest days in the clinic.

Spittoon valve filter

When it comes to maintaining a spittoon, don’t forget about this little component, tucked away in the spittoon compartment: the valve filter! To get to it, just pop off the side panel and drain any leftover liquid. Once you’ve released the filter, give it a good rinse and clean before putting it back in place. The great news is that you usually won’t need to replace this filter, making upkeep easy and cost-effective. A quick clean every week will keep everything running smoothly and help avoid any nasty smells or stagnation.

HVe valve

The High-Volume Evacuation (HVE) valve is something that gets a lot of use, and if it’s

not cleaned regularly, debris can accumulate inside. The good news is that the valve is designed for easy disassembly. Once you take it off the tube, you can clean it by hand or place it into the autoclave. To keep everything running smoothly, just a little bit of A-dec silicone lubricant on the O-rings will do the trick. It’s a good idea to clean it daily and remember to replace the O-rings about once a year during your scheduled service. Keeping this part in top shape ensures you get strong suction and smooth operation.

Water bottle

Taking care of your water bottle is straightforward. A good clean once a month, or more often if needed, will help keep any residue at bay and ensure you’re getting quality water. You won’t need to replace the bottle until the five-year mark, so it’s low maintenance but crucial for keeping your system running smoothly.

Caring for your dental unit waterlines is just as important as maintaining the chair itself. Once your waterlines have been properly treated with A-dec ICX Renew and brought back to a safe baseline, ICX tablets help maintain those levels by inhibiting new bacterial growth that cause unpleasant odours.

A quick tip: simply add an ICX tablet to your water bottle before you fill it up, and it will help keep your waterlines stable for up to two weeks!

A-dec advises against emptying and drying the water bottle overnight, as this can lead to contamination. Regular water testing and occasional shock treatments are key to ensuring your waterlines stay safe and compliant.

Taking care of your dental unit waterlines is just as crucial as looking after the chair itself. By using A-dec ICX and ICX Renew products, you can effectively prevent the growth of bacteria that cause unpleasant odours. A quick tip: simply add an ICX tablet to your water bottle before you fill it up, and

you’ll keep those waterlines clean for up to two weeks! A-dec advises against emptying and drying the water bottle overnight, as this can lead to contamination. Regular water testing and occasional shock treatments are key to ensuring your waterlines stay safe and compliant.

Oil filter

At the rear of the A-dec delivery systems, you’ll find the oil filter, which consists of a small piece of gauze designed to catch oil from the compressed air powering your handpieces. To maintain consistent handpiece performance and prevent slowdowns, this gauze must be kept loose and free from buildup. If your practice manually oils its handpieces, the filter should be cleaned weekly; if you use an automated oiling machine, every other week is sufficient. This quick task helps maintain efficient airflow, protecting the longevity and performance of your handpieces.

annual and five-year servicing

In addition to your daily and weekly maintenance routines, A-dec suggests scheduling an annual service after every 1,500 hours of use. Plus, don’t forget about the more comprehensive five-year service, which should be done after 7,500 hours. These regular check-ups are crucial for keeping your equipment safe, preventing long-term wear, and catching any potential issues before they disrupt your daily operations.

Upholstery care and cleaning

The upholstery on your dental chair is often the first thing your patients notice, and it significantly influences their overall impression of your practice. To keep it looking great, steer clear of harsh cleaning products, as they can lead to cracking and peeling. Instead, at the end of each day, wipe it down with warm, soapy water and make sure it dries completely.

During the day, non-alcohol wipes work wonders for quick clean-ups, but remember to dry the surface afterwards. Don’t forget to pay special attention to high-touch areas like headrests, armrests, trays, and control panels. These spots not only gather more bacteria but also endure more wear and tear. Environmental factors like humidity, heat, sharp objects, and certain materials can also affect the lifespan of your upholstery. With a bit of care and awareness, you can greatly extend the appearance and comfort of your chairs. By weaving these straightforward routines into your practice, you can greatly minimise the chances of downtime, enhance the patient experience, and safeguard your equipment investment. A well-maintained chair not only functions better but also showcases the professionalism and high standards of your practice.

For more tips, check out A-dec’s website, drop an email to uk-info@a-dec.com, or take a look at A-dec’s YouTube channel for some handy maintenance videos. n

All you need to upgrade your practice this March

Adental trade exhibition is the perfect opportunity for dental professionals across the country to see and interact with the latest innovations in the profession. Held at the ExCeL London on 13-14 March 2026, BDIA Dental Showcase hosts the highest calibre of dental manufactures and suppliers, making it a unique setting to see the products you’re curious about.

clark Dental exhibiting in London this March

Clark Dental is delighted to be exhibiting on stand D1 at BDIA Dental Showcase 2026, giving even more dental professionals the opportunity to see the fantastic range of equipment and software that they offer in person, and discuss their options with the experts. The Clark Dental team has been working with dental professionals for over 50 years, supporting them in their practice design and decision making when it comes to selecting the best equipment and software for their unique practices.

This experience means that the team are best-placed to assist visitors with any queries they may have about the range on offer, and provide bespoke advice. Stuart Clark, Managing Director at Clark Dental, shares his excitement and discusses what visitors can expect:

“Clark Dental is looking forward to exhibiting at BDIA Dental Showcase, and connecting with new and existing customers. This will give visitors a chance to see the systems we offer in one convenient location – with our helpful team on hand to answer their questions and offer advice. The Clark Dental team prides itself on excellent customer service, supporting our clients throughout the purchase journey and long into the future to ensure they have the best possible experience.”

High quality range of products

In order for visitors to make the most of their time at the Clark Dental stand, the latest equipment and software will be available to view and interact with. Clark Dental will be exhibiting with Primescan II, Primescan Connect, Primeprint a range of CEREC® milling machines, A-dec 500 Pro and 400 Pro treatment centres, Dentsply Sirona Axano and Axano Pure treatment centres, Edarredo cabinetry, and the CDR Onepix clinical image management system. Additionally, visitors can see XIOS XG Supreme AE sensors, the Axeos imaging system, MyRay CBCT system, and BioLase lasers.

Each piece offers excellent value to dental practices, and customers can expect only the highest quality from Clark Dental – with ongoing servicing and support ensuring their equipment runs as it should, enabling them to see the highest return on any investment they make.

clark Dental’s trusted support

Your customer experience will not end when you purchase a high-quality solution

from Clark Dental. Instead, the team’s commitment to go above and beyond for their customers gives you the peace of mind that they are there if you need them, allowing you to focus on what matters most to you – treating your patients.

Clark Dental has built its reputation on excellent customer service, enabling clinicians to use their equipment and software to their full potential. With 50 years of experience working with dentists, the team fully appreciates the importance of having help on hand when it’s needed. That’s why, when something isn’t working as it should, the team of highly skilled engineers are able to assist you.

come along and see for yourself So, if you’re curious to find out more about the excellent range of solutions from Clark Dental, visit stand D1 at BDIA Dental Showcase, or get in touch with the team today.

For more information call Clark Dental on 01268 733 146, email info@clarkdental.co.uk or visit www.clarkdental.co.uk n

Dental Protection

We’ve been there.

The pressure.

The pile up of problems.

the days when it feels too much

The long running battle with burnout.

And then a patient complaint, or a claim, or a disciplinary, gets thrown into the mix.

As dentists, solicitors, case managers and more, we bring our experience to helping you navigate whatever follows.

Our discretionary indemnity gives us the flexibility to help even in the most unusual circumstances. And whatever it takes, no matter how complex the legal challenge, you can depend on us to support you through it.

Finding practice efficiency without compromise

For so many practices, the difference between a busy day and a chaotic day is workflow efficiency. Time holds great value – how each minute and hour is used is key to unlocking it.

The concept of improving efficiency means something far different from rushing appointments and diminishing thoroughness. Instead, it is the optimisation of processes, and judicious utilisation of tools, ultimately empowering both your patients and your team to act with confidence and clarity.

poorer patient care

Growingly complex treatments, higher patient expectations, and less time to focus on everything in-hand are elements which encompass the mounting pressures of modern dentistry. Even the most minor of delays – in areas such as communication, preparation, and more – can cascade into greater impediments throughout the day. This makes well-organised delegation and preparation vital, through the use of more structured approaches and the intentional use of technology, practices are able to ensure that team focus remains on excellent patient care as opposed to recuperating time.

Primarily, a lack of inefficiency contributes directly to increased stress levels for dental professionals and practice staff. Reports describe that health systems under mounting pressures cause professionals to experience greater levels of burnout, poorer mental health, and increased stress as a direct result of their work environment. Amplified levels of stress in dental professionals impacts the prospects of staff retention –whereby workers seek new, more efficient environments to move to.

Furthermore, the greater the stress levels, the less effective and efficient work will

become – something that can affect the patient experience too. Staff burnout leads to reduced work engagement, and influences the behaviour of dental professionals. The unfortunate consequences involve reduced patient interaction, inadequate levels of care, and, in some cases, even malpractice. A recent review found that patients have a tendency to supress their needs where they perceive that the staff are busy. Some patients have even described feeling as though they are treated like parcels due to the busy environment for healthcare workers. As small changes and implementations hold great power in ensuring greater patient retention, it is important for your practice to improve the efficiency –protecting its reputation too.

Understanding lost time

Inefficiencies are represented in several ways and productivity will always outweigh busyness. As such, ensuring that internal teams are communicating coherently and impactfully, maintaining necessary planning, and simply staying ahead where possible, can each contribute towards greater efficiency within workflows.

The slightest of adjustments can produce the most measurable outcomes; preparing instruments and incorporating digital, replicable templates for routine cases, or organised checklists can save minutes between appointments.

enhanced productivity

Digital tools have entirely restructured the efficiency of clinical workflows, making them an investment for both your team and the future of your practice. From digitalised scanning and designing to cloud-based programmes and collaboration, the intentional integration of such technologies can provide unmeasurable amounts of productivity. With this, comprehensive training is necessary to achieve the best results, rather than adding the extra burden of training and understanding for staff –meaning that the thoughtful selection of such implementations is very important.

3D printing, for example, has significantly impacted the efficiency of the dental field. Firstly, by having the ability to produce restorations and appliances in-house, the need to wait on the lengthy turnaround times of external labs is reduced immensely. Furthermore, 3D printing with the right equipment can offer ultra-speed, high-quality results with minimal training and setup.

Next level innovation

Taking pixel perfect accuracy and unmatched printing speeds to another level is the SprintRay Pro 2 3D printer Duo Kit. An incredible amount of time is saved by no longer needing to swap materials over between cases, allowing the production of restorations – such as base and teeth – to run simultaneously. Another upside to the Duo Kit is that of facilitated resin

management. Even when operating with just one resin at a time, the smaller tanks offer the convenience of simpler handling, faster material swaps, and less waste. Reducing the additional need for manual handling streamlines production and multicase workflows, reducing interruptions and wait times for patients, enhancing efficiency insurmountably. Removing the need to ever swap tanks, the Duo Kit allows clinicians to focus their time and energy on more complex tasks and excellent patient care, without the stresses of accounting for lost time in waiting. With the potential to print two resins at one time, what would you print?

Striving for efficient excellence

Without compromising quality, practices should strive for efficient workflows that push their practice future and staff in a more confident direction. Maintaining structure, investing in the right training, and the thoughtful integration of technology, can each optimise operational proficiency. The strategic use of such tools and implementations can reduce staff stress, support the increasing patient expectations, and reinforce the sustainability of your practice.

For more information on the 3D printing solutions available from SprintRay, please visit https://sprintray.com/en-uk/ n

about the author ross phillips, Sprintray area Manager, UK & Nordics.

Building patient trust through endodontic excellence

For countless patients, hearing the words “root canal therapy” can be daunting and trigger intense apprehensions about the treatment in-hand, before it has even begun. Despite progression in the field, endodontic procedures have gained the reputation of bringing discomfort and uncertainty, even among the most confident patients. Though technique, technology, and hence, outcomes have improved significantly over the years, the emotional factors must still be handled with care and consideration. Additionally, the right tools and materials can assist in the diminishment of anxieties – providing reassurance to unsure patients with evidence-based success. Building trust is integral in achieving the best results – combining clinical confidence with the right tools can influence both compliance and the quality of treatment.

patient apprehension

Dental anxiety is experienced by approximately 25% of the population –defined as the fear, stress, or dread induced before, during or after dental treatment. Endodontic treatment anxiety exceeds this statistic entirely due to being heavily associated with pain. A recent study found that 62% of patients awaiting treatment felt anxious, with another study finding

that 13% of 200 patients cancelled an endodontic appointment due to fear of pain.

Despite vast improvements in clinical outcomes – resulting from innovations like 3D imaging, biocompatible materials, and technological irrigation advancements – it is seemingly only after face-to-face reassurance that patient anxieties are reduced. Compared to the initial 62% of patients experiencing anxiety for endodontic treatment, only 39% of returning patients felt the same. This is likely associated with the beneficial discussion of their fears with dental professionals, undergoing part of the treatments, and truly understanding the reality of the procedures.

clinician confidence

Patients demonstrate a direct response to the demeanour and approach of their clinician. It is argued that a practitioner exhibiting confidence and who can assertively explain the expected clinical outcome, has an increased chance of gaining patient cooperation and compliance. Essentially, the more assured the clinician, the more comforted and assured the patient becomes. Confidence is exuded through a combination of attributes – professional experience makes for a strong case in encouraging a patient. However, it is also influenced by the reliability of the systems, materials, and tools that have been trusted by the practitioner.

Patients may generally have little interest in the specifics of materials like gutta percha, or instruments like rotary files or apex locators, but they will respond positively to knowing that their clinician is self-assured by using tools that are highgrade, and have been specially selected to improve clinical outcomes.

Great tools improve confidence

meaning less insertions and greater patient safety. COLTENE’s remarkable fracture resistant design and reproducible protocol renders a comfortable clinical environment –patients find confidence in their practitioner utilising instruments designed and developed for safety and precision.

reassuring patients for great clinical outcomes

A recent study explores how anxious patients already overestimate pain, and end up spending a significant amount of the time spent in the chair focusing on stress reduction. This can further increase the stress levels felt by both the patient and dental professionals, creating a dangerous cycle. The right tools can establish a shorter, more efficient appointment, reducing this accumulated stress and lost time – improving the patient experience. One of the best examples of endodontic instruments that transform workflows and patient experience is the Hyflex EDM file system from COLTENE. The sequence includes four files that work in organised harmony with powerful cutting performance to deliver fast and consistent preparation of endodontic cases. The tools permit the full reach of working length within just a few strokes –

When patients feel anxiety towards endodontic treatment, it is both the duty of and in the best interest of the practitioner to ease these feelings. As a clinician, these worries can be best supported by demonstrating emotional support, reinforced by the reassurance of excellent materials and tools. The appropriate selection of such affords greater confidence for dental professionals, which then reflects onto the patient.

For more information, visit https://colteneuk.com/hyflex-edmogsf email info.uk@coltene.com or call 0800 254 5115. n

about the author Nicolas coomber, cOLteNe National account & Marketing Manager.

Reimagining growth in the modern dental practice

Successful dental practices are built on a foundation of clinical excellence, team cohesion, and an unwavering commitment to patient care.

Growth, therefore, is never just a commercial ambition – it reflects the principal’s desire to strengthen their practice, elevate the team experience, and deliver exceptional dentistry. As the landscape evolves, so too does the definition of “growth”, with today’s environment demanding a more strategic and holistic approach to development.

a new definition

For most principals, the goal of growth remains clear: to expand practice capacity and long-term profitability without compromising clinical standards or team wellbeing. Crucially, sustainable development should not rely on longer working hours or undue pressure on individuals. The aim is to balance productivity with a supportive, healthy working environment.

While traditional metrics such as patient volume, retention, new surgeries, and revenue remain important, modern practice owners are increasingly focused on deeper forms of progress. These include enhancing the professional environment, creating more robust career pathways, and strengthening the resilience of the business for the future. This broader perspective empowers principals to pursue growth on their own terms, aligned with their values and vision.

traditional pathways limitations

Conventional growth routes often present significant challenges long before their benefits are seen. Large financial commitments, recruitment difficulties, and heavier operational demands can make expansion slow, risky, and difficult to sustain.

For many principals, this leads to considering a sale. While selling can release the value built over many years, the traditional sales market carries notable disadvantages. Vendors typically receive only part of their practice value upfront, and modern earn-out structures frequently remove managerial control from the principal while still tying deferred payments to practice performance. This imbalance can produce poor financial outcomes and heighten risks around staff retention, team morale, and community relationships.

More importantly, when an external buyer prioritises financial efficiency above clinical leadership, concerns naturally arise about the continuity of patient care. The principal’s loss of influence over how the practice is run – including the protection of clinical standards – is often a decisive red flag.

a new opportunity

In response to these long-standing issues, more innovative pathways are emerging for principals who want to grow their practice while retaining control. These options allow clinicians to stay focused

on development but approach it through a fundamentally different lens – one that benefits the principal, the team, and the patient community.

A shared ownership model provides this opportunity. Successfully implemented across global healthcare sectors, it offers a proven, forward-thinking alternative to traditional sales. Principals maintain control of their practice, upholding clinical standards, and preserving culture, leadership, and community relationships.

With DeNovo Dental Partners, principals realise the full value of their practice upfront –primarily in cash, with the remainder in equity in the DeNovo parent company. This equity component creates multiple long-term wealth-generation opportunities as both the practice and the wider organisation grow. Even more importantly, this growth is actively supported. Partner dentists gain access to central expertise that can be drawn upon entirely at their discretion, ensuring full autonomy while enabling meaningful progress. Targeted reinvestment into the practice can also be guided through this model, supporting physical or operational development without placing unnecessary strain on the principal.

Where the market is heading Growth will remain a priority for dental practices, but how it is achieved – and what it represents – is changing. Traditional

approaches often involve unnecessary compromise or carry risks that ultimately reduce the benefits for vendors. With the emergence of new shared-ownership models, the future of practice development is being redefined.

This shift promises stronger outcomes for principals and their teams, along with the continuity of high-quality patient care – the core purpose of every dental practice. n

about the author caron Best, chief Operating Officer at DeNovo Dental partners.

Nomadic oral care: adjusting to the changes of travel

The population’s general priority is shifting from possessions to experience, with society becoming more travel-driven –growing by 16% in just the past year alone. From students taking gap-years and tired workers seeking sabbaticals to intrepid backpackers and professionals embracing a nomadic lifestyle, periods of travel have become far from uncommon for many. This raises an interesting question for dental professionals on how the itinerant lifestyle affects oral health and how to best advise patients on the maintenance of such throughout their travels. With the continuum of oral care being an absolute priority, the reality involves far more – new diets, varied access to hygiene facilities, routines being disrupted entirely, and even altitude variations. The vital steps involve understanding and preparing ahead for these risks, and advising patients on the correct protocol and strategies to manage them.

Diets and daily differences

Regardless of how diligent one is with their oral care, travelling presents unique changes that can impact the consistency and adequacy of hygiene maintenance. Primarily, new countries introduce diverse cultures that come with diet differences. Sugar-rich diets, combined with poor oral hygiene – something common when travelling – promote cariogenic microbes such as Streptococcus mutans. These acid-producing bacteria colonise the dental surface and damage the tooth structure, leading to caries and other oral complications.

Furthermore, accessibility can often take priority with tighter schedules and limited budgets – the convenience of low-cost, convenient food like crisps to snack on can become tempting, with a particularly starchy composition that can embed in hard-to-reach crevices.

Dental direction when travelling

Cost and time both play a role in the reasons behind avoiding a pre-travel dental checkup. This can be particularly detrimental for those who have had significant treatment in the past like implants or root canal therapy, who require more specific advice.

Furthermore, the risks associated with changes to lifestyle that come with vacations – like adventurous activities or alcohol-related injuries – create a dangerinducing environment for one’s oral health. Dental emergencies abroad follow varied protocols to those at home – which, without the right guidance sought from dental professionals prior to travelling, can be extremely detrimental.

Appropriate advice should always be offered by clinicians – supporting patients in their upcoming ventures: recommending dental-inclusive travel insurance, explaining what to do in practical emergencies, and adjusting to new cuisines and environments. This assistance extends to the general maintenance of everyday routines whilst travelling – such as keeping a fresh-water bottle for toothbrushing in places with contaminated tap water and fulfilling an appropriate, consistent oral care regime including fluoride and interdental cleaning.

lacking a dental hygiene home

The adjusted environment can create difficulties –between limited private bathroom access and lack of clean water supplies, there are several potential disruptions to the oral hygiene routine. Next level oral care, such as interdental cleaning, is an even less patientcompliant sector of the routine – with the regular use of dental floss and other interdental cleaning tools being implemented by only 10-30% of adults. This is partly due to the technically challenging nature of the task, which is augmented further when combined with travel. When interdental cleaning lacks consistency, the development of caries increases in conjunction. The strain on both toothbrushing and interdental cleaning, in combination with the other changes that travel endures, can lead to the greater progression of oral issues. For example, periodontitis, which progresses more rapidly in interdental spaces, making it integral that these areas are cleaned thoroughly when the oral cavity is experiencing so many cultural and environmental changes. Such exacerbated issues will likely require eventual clinical intervention – which is just another of the many risks of oral care alterations whilst travelling.

Portable solutions

One of the best ways of maintaining great interdental hygiene is with clinically-proven water flossers. The #1 water flosser brand recommended by dental professionals is WaterpikTM – with specific products created to encompass everything travelling patients require for gold star hygiene. The Cordless Pulse offers an easy-fill reservoir for 45 seconds of continuous flossing, and is rechargeable with a sleek, portable design – making it perfect for travel, compact environments, and everyday use. Just three seconds of exposure removes approximately 99.9% of the plaque biofilm from treated areas, with two pressure settings available to suit each need.

Continuous care, no matter where With travel – particularly long-term – becoming a more common experience, it is important that the unique risks associated are advised upon and managed appropriately. Though not all oral health threats are avoidable, preventive measures can significantly reduce the probability of dental-related repercussions. Advising on avoidable dangers and disrupted diets is extremely beneficial for travelling patients, whilst the recommendation of travel-suitable tools can mitigate the biggest hygiene threats that travel involves. For more information on WaterpikTM water flosser products visit waterpik.co.uk n

The true burden of sensitivity

Oral health has far-reaching consequences for individuals. Not only is it essential for physical wellbeing – with its impact extending well beyond the mouth – but it also contributes to mental health. It’s crucial that patients understand these associations in order to play their role in improving and maintaining their oral hygiene throughout their lifetimes. For professional teams, it is important to educate patients, and to help them overcome the challenges with bespoke advice and recommended products.

Contributing factors

There are many factors that can impact a patient’s oral health-related quality of life (OHRQoL).

One study found that dental anxiety or fear can have a greater impact on OHRQoL than conditions such as periodontitis and even oral cancer. While this may be surprising to many people, the study explained the phenomenon with the ‘disability paradox’. This is the concept that those with serious illness tend to report a high quality of life, because their life-altering or even life-threatening experience has changed their perspective.

The same study found that periodontal problems could hinder a patient’s OHRQoL due to impaired aesthetics, bad breath, or reduced interaction with others, although this was a relatively small issue for this group. There is also strong evidence that tooth loss negatively impacts quality of life, with the location and distribution of missing teeth contributing to the severity of the impairment.

the real impact of sensitivity

Sensitivity is another major cause of lowered OHRQoL among patients. It is estimated that dentine hypersensitivity affects more than 11% of the population, though different studies and methodologies postulate a broad range of potential values from 5-62%. The literature reports this sensitivity to have a considerable impact on sufferers’ quality of life, with older patients reporting significantly more problems. In particular, patients report disturbed eating, drinking, tooth brushing, and sometimes even breathing.

Managing symptoms

The dental team is ideally placed to help patients enhance their OHRQoL. In many cases, this involves educating, encouraging, and supporting patients to improve their oral hygiene. Any treatment plan should consider minimally invasive options first, only moving towards surgical intervention when all other solutions have failed to reduce symptoms.

The least invasive approach for tackling sensitivity is to prevent it from developing in the first place – regular dental visits are key and patients should be encouraged to appreciate the value of frequent screening and prevention protocols. A strong dentist-patient relationship needs to be built over time to allow for truly open and honest conversations about their current habits and potential risk factors for sensitivity. This centres on effective communication, which increases patient trust in their practitioner and helps to increase their engagement with their oral health.

The at-home regime must also feature in these discussions with patients. Each routine should be tailored to the individual and designed to minimise the amount of acidproducing bacteria in the mouth throughout the day so as to reduce the risk of damage to the tooth surfaces. BioMin® F is particularly beneficial for managing sensitivity. Its uniquely responsive, controlled-release mineral technology forms a strong fluorapatite layer over the tooth and within exposed tubules, providing advanced protection against acid and supporting long-term enamel health. Beyond this, BioMin® F delivers evidencebased results that help patients feel confident in their oral health, reducing discomfort and providing reassurance in everyday activities — supporting both dental wellbeing and overall quality of life.

achieving long-term outcomes

about the author

Several factors make it difficult to accurately determine prevalence or precise impact. For a start, data collection is often subjective, with many studies relying on self-reported symptoms in the absence of clinical evidence. There is evidence that the amount of pain or discomfort experienced is influenced by the individual’s emotional status, coping mechanisms, and beliefs about health and illness, all of which affect if and how they report oral sensitivity.

Oral health has a far-reaching impact on patients’ lives, affecting both their wellbeing and quality of life. By recognising and proactively addressing the factors that can influence oral health, dental professionals can help patients significantly reduce the impact of conditions like sensitivity. All it takes is good communication, bespoke advice, and trusted products.

The science is clear. The solution is simple. www.biomin.co.uk n

about the author alec hilton, Ceo of BioMin technologies.

WHEN SIMPLICITY MEETS POWER

CHIROPRO PLUS

defines the CHIROPRO implantology systems, they are undoubtedly two of the most powerful systems on the market. In other words, it means that you get the best of Bien-Air: their user-friendly design, combined with Bien-Air technology ensures uncompromising power with unmatched simplicity, making it an ideal choice for implantologists.

Support beyond toothbrushing for orthodontic patients

Orthodontic treatment is absolutely lifechanging for many patients, with its ability to significantly enhance confidence. However, the process itself alters much more than a patient’s appearance, but comes with changes that reshape their daily routine immensely – it presents unique challenges that impact patients’ lives.

Brackets and wires necessitate a learning curve when navigating how to effectively clean around these plaque-trapping appliances –something that regular toothbrushing simply cannot achieve. As a dental professional, helping patients to understand the changes they are to experience from day one, as well as the best ways to support their oral health for the duration of their orthodontic treatment, is vital.

the challenges of fixed appliances

Fixed braces create intricacies where debris can harbour, and bacteria can flourish. Wires create a “blind spot” where regular toothbrush bristles struggle to achieve a thorough clean. Even the most inclusive level of toothbrushing is simply not enough to fulfil an adequate level of cleaning for patients with orthodontic appliances. These complications encompass the entirety of the oral cavity, including along the gingival margin, eventually developing into inflammation and swelling. As a result, patients might feel pain – often causing them to avoid cleaning entirely. Frequently unbeknown to the patient, the complications escalate further, as biofilm builds up and matures, risking demineralisation and compromising treatment outcomes when white spot lesions appear. Though these changes are preventable, they require an adapted level of care which is only possible with the initial and ongoing support of dental professionals.

the evolution of technique

Many patients wrongfully assume that in order to compensate for the complex surfaces of braces, they must brush harder – however this poses greater harm than good. Brushing harder does not clean the hard-to-reach areas, and in fact causes irritation to sensitive tissues, which exacerbates both pain and risks. Instead, patients require accuracy over force, using tools designed for precision and an effective clean that are appropriate for the intricacies of orthodontic appliances. Interdental brushes can access otherwise inaccessible areas, and ortho-specific brush heads are designed to clean around complex structures without catching on or damaging the appliance itself. Once patients learn the correct cleaning protocols, and how to efficiently introduce them to their oral hygiene routines, the process and treatment becomes manageable, and they can carry out effective oral hygiene independently.

Supporting discomfort & uncertainty

Emotional change comes with adjustment, just as much as physical. Patients frequently feel unsure about navigating oral hygiene with the

new addition in their mouth – worried about breaking wires or loosening brackets. This adds to the inadequacy of cleaning too, as their anxiety of breakage outweighs their determination to clean properly. Particularly in the introductory phase of their treatment, their hesitancy can have a big impact on treatment results.

By encouraging patients to build up their routine gently, clinicians can have an incredibly positive effect on the future of a patient’s independent care. Demonstrative teaching is remarkably useful – actively instructing them on the correct angles of interdental cleaning without causing discomfort, or advising on the gentle directional motions of brushing the gingival margin can be greatly beneficial.

Another excellent recommendation is the use of brace wax to reduce the discomfort caused by brackets and wires rubbing against the cheeks, gingiva, and lips. By recommending the right products, patients can safely avoid this, progressing comfortably through their orthodontic experience.

the best tools for the job

For practices seeking a solution to offer patients as they embark on their orthodontic journey, look no further than the Orthodontic care kit from TANDEX. The set includes an ADVANCE MEDIUM toothbrush to ensure all surfaces are cleaned, the SOLO MEDIUM single bundle brush for the hardest-to-reach areas, four FLEXI interdental brushes to remove interdental plaque, and bracket wax to prevent sore areas. TANDEX supports patients throughout their entire orthodontic treatment –the comprehensive kit offers a solution to each inhibition or challenge faced throughout.

establishing better long-term habits

Braces offer a unique confidence enhancer that nothing else compares to. However, the changes in smile structure come with the cost of adapting routines to ensure that smiles are both aligned and clean. Patients who are taught to clean professionally by their trusted dental professionals will reap the rewards longterm, making it critical that it is done right.

Beyond toothbrushing, the intricacies of orthodontic appliances demand much greater depth to oral hygiene routines. The right guidance – through physical demonstration, recommendations on the best tools for the job, and dependable support guarantees patients the opportunity to maintain excellent oral health through a journey they have never experienced before. For more information on Tandex’s range of products, visit https://tandex.dk/ Our products are also available from DHB Oral Healthcare https://dhb.co.uk/ n

about the author

Jacob Watwood, rodericks dental Partners associate dentist, on behalf of tandex.

The cause and effect of overcrowding

Every year, around 200,000 young Brits undergo NHS-funded orthodontic treatment. Many adults will also choose private treatments to align their smiles. This illustrates how prevalent malocclusion, be it crowded or misaligned teeth, is among modern populations.

The World Health Organization considers malocclusion a significant public health problem because of how it affects tooth function, aesthetics, social lives and self-esteem. As such, understanding the aetiology and oral health impact of malocclusion is vital, allowing dental practitioners to better educate affected patients on how to manage any crowding or misalignment they may have.

a jaw-dropping change

There are two competing explanations for the modern prevalence of malocclusions: evolution and diet. However, they are not mutually exclusive, with research for both highlighting how indefinite both are as explanations. Investigating malocclusion through the lens of evolution illuminates several differences between humans now and our huntergatherer ancestors. Studying their fossilised skulls showed that malocclusions existed tens of thousands of years ago, but not to the extent, in frequency and severity, as more recent times. This is due to changes in the human skull: hunter-gatherers had large, powerful jaws that helped them to chew tough meats, nuts and raw vegetables. The same has also been noted in more recent times among indigenous communities who follow more traditional diets: an Australian orthodontist in the 1920s observed that Aboriginal people had more worn-down teeth than Europeans but had perfect dental arches, with fully erupted and functioning wisdom teeth. This contrasts with the UK today, where wisdom tooth removal is one of the most frequent treatments – King’s College London reported up to half a million NHS extractions a year.

The turning point came with the transition to agriculture 12,000 years ago; a change that saw humans begin to eat softer foods that were more processed and required less mastication. In response, the mandibles began to shrink over time, leading to more teeth than could fit in a perfect arch.

thoughts to chew on

Some researchers dispute agriculture and evolution as the cause for why we have so many problems with our teeth. One reasoning is that there are stark differences between modern skulls and those from 150 years ago – too short a time for genetics to shift the mandibles over several generations. As such, the shrinking of the jaw and the subsequent prevalence of crowded and misaligned teeth can be attributed to lifestyle, particularly among babies.

on two groups of children found that those with a diet mainly consisting of liquids had smaller gaps between their lower teeth than those who mainly had a solid diet, with the gaps later filled by adult teeth.

As more forceful chewing stimulates the growth of the jawbone, a diet with lots of soft foods can lead to smaller mandibles. In particular, the alarming number of soft ultraprocessed foods (UPFs) don’t just inhibit jaw growth, but increase the risk of oral disease. Parents should be encouraged to reduce soft UPF consumption in their children’s diets and increase the number of harder foods, as well as giving babies less mushy food as they transition to solids – get them chewing as early and safely as possible to lower the risk of a malocclusion in the future. However, simply eating may not be enough to change pre-existing genetic traits in regard to jaw size.

comprehensive cleaning required Whether a child or an adult, crowded arches and tooth misalignment is an obstacle for the daily oral hygiene routine – overlapping teeth make it harder to thoroughly clean all the tooth surfaces, with food particles able to become trapped in almost inaccessible places. This increases the risk of developing cavities and gingival diseases and must therefore be prevented. Excellent oral hygiene standards can be achieved with the Hydrosonic Pro toothbrush from Curaprox. Engineered for a comfortable yet effective cleaning experience, it offers seven different cleaning levels and three innovative brush heads, allowing patients to customise their preferred setting. Its innovative sonic technology gentle creates pulses that move water and saliva around the teeth to help dislodge trapped food particles – a great asset for those with crowded smiles.

Regardless of whether the human jaw has changed through evolution or diet, malocclusion can have a long-lasting impact on oral health if untreated. By educating patients on the importance of mastication at a young age and providing the best oral hygiene solutions to manage malocclusion, dental practitioners can help ensure a gold-standard in oral health.

To arrange a Practice Educational Meeting with your Curaden Development Manager please email us on sales@curaden.co.uk

For more information, please visit curaprox.co.uk and curaden.co.uk n

Bones develop and change under the influence of gentle but persistent pressure. For babies whose bodies are growing, a diet of liquids and soft foods demands little mastication, meaning that the jawbone does not develop to the extent it needs for better tooth alignment in the future. A study

about the author andrew turner, curaden UK head of Marketing, UK & ireland.

For more information visit https://tandex.dk/

To request samples and place orders, please visit DHB Oral Healthcare at https://dhb.co.uk/

Managing pain during orthodontic treatment

Orthodontic treatment is an excellent option for many patients who are looking to improve the appearance of their smile and align their teeth for an overall healthier mouth. Many people undergo orthodontic treatment in their teenage years; however, the treatment type has become more popular in adults in recent years, with the increasing use of clear aligner options and increased awareness of the benefits of straight teeth. Whilst it is a common treatment type, it does not mean that it is always comfortable, particularly when traditional braces are adjusted, or a patient starts using the next clear aligner in the sequence. As such, it’s important that clinicians make patients aware of the potential for discomfort during their treatment, why this occurs, and what they can do to manage it – as well as when to seek advice.

Why pain occurs

It is essential that practitioners support patients in the understanding and management of their pain during orthodontic treatment, especially as it is considered to be one of the main factors responsible for treatment rejection. Patients are likely to experience varying levels of pain throughout the course of treatment, so it is important for treatment success that this can be managed.

Research suggests that pain can occur during most orthodontic procedures. These include the placement of a separator, banding or elastics, arch wire insertion, orthopedic forces, rapid maxillary expansion, and debonding. Usually, the pain will begin 12 hours after the application of orthodontic force, reaching a peak after one day, and gradually decreasing in the three to seven days following. Although it usually diminishes one week following orthodontic visits in most patients, it has been found to last longer than this in 44% of cases – this may mean extended periods of pain for some. In terms of the type of pain patients experience, it is often described as soreness in their teeth, and feelings of pressure and tension. For many patients, this type of pain can have a big impact, beyond simply hurting, on their health, by also inhibiting masticatory performance and speech.

Ultimately, pain is caused by the orthodontic forces applied to the teeth –necessary to carry out successful treatment – leading to inflammatory reactions which stimulate the release of biochemical mediators in the periodontium and pulp, resulting in pain. Additionally, the wires and brackets, and even the edges of aligner trays, may cause irritation – making the inside of the cheeks and the gingiva swollen and sensitive.

How to manage

There are a number of ways patients might manage their pain during orthodontic treatment. These may include at-home solutions, such as icing the teeth and gums to relieve pain following a tightening procedure, and eating soft foods to ease any pressure at these times.

Non-steroidal anti-inflammatory drugs (NSAIDs) have been used to control orthodontic pain for decades, however, their use is debated as they can reduce the rate of tooth movement. This is because NSAIDs hamper the release of prostaglandins, lipids that aid tooth movement through bone remodelling stimulation. As such, research suggests that, when it comes to oral analgesics, paracetamol could be a better option than NSAIDs, like ibuprofen.

Alternatively, or for use alongside other methods, a numbing gel can provide fast relief from pain in the exact spot where it hurts. The Orajel® range of benzocainecontaining dental gels are an excellent option for orthodontic patients. Orajel®

Dental Gel contains 10% benzocaine, and can be applied directly to the painful area for the rapid relief of dental pain, whilst Orajel® Extra Strength contains 20% benzocaine for relief of acute pain. For patients experiencing irritation to their cheeks and gums, Orajel® Mouth Gel is a fantastic option, relieving pain and soothing the area.

Plus, pain relief gel numbs the area without compromising prostaglandin release (instead blocking the movement of sodium ions), reducing the potential risk of inhibiting treatment progress.

Successful orthodontic treatment can be incredibly rewarding for patients, who are able to see the transformation to their smile. However, in order to ensure a good outcome, managing the pain often experienced during the course of treatment is essential. With numerous causes of pain, as well as multiple management options available, it is important for clinicians to offer tailored guidance throughout. For essential information, and to see the full range of Orajel products, please visit https://www.orajelhcp.co.uk/ n

about the author

Sumera Bashir, medical affairs & Scientific engagement Lead at Orajel.

Vital Pulp Therapies in permanent teeth

Vital Pulp Therapies (VPTs) are ‘treatment strategies aimed at maintaining the health of all or part of the pulp’. Traditionally favoured for cases of small pulpal exposures or traumatic dental injuries, their application has broadened since the introduction of hydraulic calcium silicate cements (HCSC) with faster setting times, reliable sealing properties and excellent biocompatibility. Increasing evidence now supports their success in managing carious exposures even in cases with symptomatic irreversible pulpitis in permanent teeth, establishing VPT as a biologically conservative and simpler alternative to root canal treatment in vital teeth.

Why preserve pulp vitality?

Maintaining pulp vitality preserves the dentinepulp complex’s natural defence, sensory and regenerative functions. It also prevents or delays disease progression to necrosis and apical periodontitis and supports continued root development in immature teeth. From a clinician’s perspective, VPTs are generally less technically demanding than root canal treatment, require shorter operative time and carry fewer risks of iatrogenic complications. Patients benefit from rapid resolution of symptoms, fewer visits and reduced costs. Current guidelines provide clear recommendations for case selection and technique.

Clinical approaches

Selective caries removal involves clearing peripheral caries and the amelodentinal junction (ADJ) to sound dentine, while leaving affected dentine over the pulp to prevent exposure, followed by immediate restoration. It is indicated for deep carious

lesions in cases with no symptoms or symptoms of reversible pulpitis.

Indirect pulp capping refers to the placement of a biocompatible material, such a HCSC over a thin layer of hard dentine close to the pulp, followed by a definitive restoration. It is indicated in deep carious lesions without pulp exposure, where the pulp remains vital and symptoms were absent or consistent with reversible pulpits.

Direct pulp capping involves the placement of a biomaterial directly onto the exposed pulp, followed by the definitive restoration. This is indicated after pulpal exposure where haemostasis is achieved, in cases with no symptoms or symptoms of reversible pulpitis.

Partial pulpotomy involves removing a small portion of inflamed coronal pulp tissue beneath the exposure site to reach healthy tissue and achieve haemostasis. The exposed pulp is then covered with HCSC and appropriately restored. This is indicated in cases of carious or traumatic pulp exposure and or symptoms of irreversible pulpitis, provided haemostasis can be achieved and the radicular pulp remains vital.

Full pulpotomy entails complete removal of the coronal pulp to the canal orifices, followed by placement of HCSC in the pulp chamber and an appropriate restoration. It is indicated in cases with symptoms of

irreversible pulpitis where the pulp remains vital in the canals and haemostasis can be achieved, offering a biologically conservative alternative to root canal treatment.

Clinical protocol guide

1. Diagnosis and assessment

Establish an endodontic diagnosis through history, examination, pulp testing and appropriate radiographs. Assess restorability and obtain informed consent, ensuring patients understand possible escalation of treatment if indicated.

2. Caries management

For deep caries, adopt selective caries removal as a minimally invasive approach. Clear the peripheral caries to sound dentine before progressing centrally. If pulpal exposure occurs, escalate to full caries removal with pulp capping or pulpotomy as appropriate.

3. Isolation

Perform VPT under strict aseptic conditions using rubber dam, magnification and cavity disinfection with sodium hypochlorite (NaOCl).

4. Haemostasis

Pulpal bleeding acts as surrogate marker for inflammation. Achieve haemostasis by applying gentle pressure with a cotton wool pledget moistened with diluted NaOCl for up to 5 minutes. If bleeding persists, remove additional inflamed tissue using a sterile diamond burr and repeat the haemostasis procedure.

5. Pulpal wound dressing

HCSCs such as mineral trioxide aggregate (MTA) and Biodentine demonstrate superior clinical outcomes to calcium hydroxide. Biodentine provides shorter setting time

and lower discolouration potential than MTA, however, bismuth oxide containing HCSCs must not be used on anterior teeth.

6. restoration

Finish with a high-quality coronal seal and, where indicated, cuspal coverage to protect the remaining tooth structure.

Practitioners seeking further guidance on vital pulp therapy and endodontic care can consult the British Endodontic Society (BES) Guide to Good Endodontic Practice. The BES website also provides educational resources and the society hosts a variety of events to support continued professional development. VPTs represent a shift toward biologically conservative, patient-centred endodontic care. When performed with appropriate case selection and sound technique, they can preserve pulp vitality, streamline treatment, and enhance long-term tooth survival, embodying the principles of minimally invasive dentistry.

For more information about the BES, or to join, visit britishendodonticsociety.org.uk or call 07762945847. n

about the author

Dr marian Vallina is a Specialist in endodontics, Practice

Principal at the Dental referral Centre, Dronfield, and Clinical teacher in restorative Dentistry at the University of Sheffield. She serves on the committee of the Langham endodontic Study Group and is an Ordinary Council member of the British endodontic Society.

One bottle. Zero compromises!

Universal all-in-one adhesive for a wide range of applications and materials

Compatible with all techniques

No filler and no HEMA – protection against hydrolysis

Reliable, strong bond with less technical sensitivity

Simplified procedure for any adherend surface

No additional primer ne eded

Dental implants – the biological and surgical complications

Implant-related complications are not necessarily rising in frequency, but becoming more visible due to the increase in implant procedures taking place. Furthermore, a greater variety in patients – including those who are older, with more complex medical histories, with higher aesthetic expectations, and more – raise the biological and technical demands associated with implant dentistry. Upgraded diagnostic tools and enhanced understanding of peri-implant disease have made navigating these requirements more feasible – with the right education and ongoing professional development required for consistently successful outcomes.

Potential surgical complications

Surgical complications associated with dental implant treatment can often involve inadequate treatment planning, execution, or case selection. Different clinical complications can have a severe effect on treatment outcomes, making clinician confidence and competence vital. Firstly, inaccurate implant positioning –including angulation, depth, and placement –can affect primary stability, as well as both longterm aesthetics and maintenance capacity. Moreover, nerve injury is one of the most significant surgical complications that clinicians must be aware of during implant placement – particularly involving the inferior alveolar and mental nerves in the mandible. Damage to these nerves can happen at any stage of the treatment and can cause temporary or permanent neurosensory disturbances – such as numbness, tingling, or pain, in the lip, chin, or tongue. If an instrument or the implant contacts the nerve

directly, the procedure must be ceased immediately, appropriate radiographic assessment undertaken, and the nerve to be litigated as soon as possible.

In the maxilla, the risks surrounding implant placement are even greater with specific regard to non-neural anatomical structures such as the maxillary sinus and nasal floor.ix Another potential hazard is the perforation of the lingual cortex of the mandible, which can potentially result in life-threatening haemorrhage due to injury to the sublingual artery.

Finally, clinicians must decide prior to treatment if sufficient bone exists for implant placement and whether advanced augmentation procedures are required to increase bone volume. The inadequate assessment of bone volume and quality can lead to implant failure, making certain pre-surgery steps integral in reducing the associated risks.

Potential biological complications

Treatment failure can often arise as a result of biological complications. The implant is considered a “foreign body” which can cause the host tissue to respond unfavourably – this can occur in both the healing phase or years after. A lack of osseointegration leads to early implant failure, which can be caused by surgical trauma, patient-related factors like smoking or systemic disease, insufficient primary stability, or post-surgery infection. Late biological factors frequently present as peri-implantitis, with continuous inflammation of the peri-implant tissues and accompanying bone loss posing a risk to implant longevity.

Various influences can impact and alter the outcome of the procedure, including a patient’s oral hygiene routine, the quality of

treatment and ongoing care, and patient susceptibility. For example, a patient with a history of periodontal disease is inevitably more vulnerable to peri-implant disease.

Following protocols for success

Both surgical and biological complications can have a critical effect on implant longevity, aesthetics, and the overall success of treatment, meaning clinicians should follow specific protocols, which require:

• Collecting a comprehensive dental and medical history of the patient

• Appropriate radiographic assessment, with CBCT if necessary

• Prosthetically designed treatment planning with clinical examination

• Meticulous surgical technique with focus on achieving primary stability

• Long-term monitoring, ensuring the early detection of potential peri-implant disease

education and ongoing development

Clinicians seeking to elevate their knowledge of implant-related risks, with associated preparatory and management strategies, must undergo sufficient training and mentorship.

All practitioners, regardless of experience to date, can gain valuable insight from Ucer Education, led by Specialist Oral Surgeon Professor Cemal Ucer. The courses offer meticulous processes on everything from application of theory to clinical practice, where trainees are supported in the development of both competence and skills in the next-level ICE Hospital with state-of-the-art teaching facilities and digital equipment. With 25 years of implantology-teaching experience – plus

mentoring and reflective practice offered – participating clinicians are guaranteed enhanced patient care and experience, better treatment outcomes, and greater clinical safety in their implant workflows.

Working towards less complications

With biological and surgical complications an inherent and ongoing risk within implant dentistry, possessing the knowledge to prevent and manage them effectively is integral for success. Clinical triumph relies on a balance between thorough planning, precise clinical execution, ongoing maintenance, and in-depth patient understanding. By recognising potential biological or surgical complications early, the appropriate interventions and plan alterations can be made to minimise the risk of failure.

Furthermore, the trends within these complications can be used as an opportunity to improve clinical standards. The best way to learn is through professional guidance, with mentorship and evidence-based training supporting clinicians in improving outcomes and overcoming challenges. Please contact Professor Ucer at ucer@icedental.institute or Mel Hay at mel@mdic.co 01612 371842 www.ucer-clinic.dental n

about the author

Professor Cemal Ucer, BDS, mSc, PhD, Oral Surgeon, ItI Fellow.

What to consider when taking dental impressions

Digital technologies now play an important role in modern dentistry, and intraoral scanners (IOS) are firmly established in many practices. However, as with any clinical tool, they are not designed to address every scenario. Understanding where different impression methods perform best allows clinicians to make informed, case-specific decisions.

Where intraoral scanners work well Intraoral scanners are highly effective in a range of routine indications. They are commonly used for single-unit restorations, short-span bridges, and smaller quadrantbased prostheses, where scan paths are limited and stitching requirements are minimal. In these cases, IOS can offer speed, convenience, and seamless integration into digital workflows. IOS are also widely used in orthodontic treatment, supporting digital planning and aligner workflows. As with all impression techniques, outcomes depend on case complexity, patient anatomy, and operator experience, and accuracy should always be evaluated on an individual basis.

Understanding the limits of any single approach

Not all clinical situations are equally suited to intraoral scanning. Certain factors can make reliable data capture more challenging, particularly when accuracy across larger or more complex areas is required.

Moisture control is one such consideration. Saliva, blood, and gingival fluid can interfere with data capture, and maintaining a consistently dry field is not always achievable. Similarly, deep subgingival margins present a challenge, as scanners can only record what is directly visible. Case size also plays an important role. Full-arch and long-span scans require the stitching together of multiple images, increasing the potential for cumulative distortion. Operator technique and experience further influence outcomes, particularly in complex cases. These considerations do not diminish the value of intraoral scanners, but they do highlight that no single impression method is optimal for every clinical indication.

Conventional impressions matter For larger and more complex restorations, conventional impression techniques continue to play an important role in achieving predictable outcomes. This is particularly true for full-arch restorations, implantsupported work, and complete dentures, where accurately capturing soft-tissue anatomy, functional extension, and border detail is critical. In particular, when taking impressions in complete denture cases, it is essential to use a mucocompressive technique – applying controlled pressure to the oral tissues – to maximise stability when the patient is chewing. This is an example of a requirement which digital impressions cannot replicate, and where the retention of final dentures would, therefore, be compromised.

Clinical research supports this distinction. A controlled crossover study by Chebib et al. (Fit and retention of complete denture bases: Part II – conventional impressions versus digital scans) demonstrated that complete denture bases produced from conventional impressions showed superior retention compared to those produced from digital scans. This finding underlines the continued relevance of conventional techniques in situations where mucosal support and functional adaptation are key to success.

Conventional impressions can also offer greater reliability when deep margins are present, moisture control is compromised, or long-span accuracy is required. In these situations, the physical properties of impression materials can provide a more complete and stable representation of the clinical environment.

Importantly, choosing a conventional impression does not mean stepping away from digital dentistry. Rather, it reflects a considered decision to prioritise accuracy and predictability for the specific case.

Bringing

conventional impressions into the digital workflow

The Cubit360™ scanner from Mimetrik™ enables conventional impressions to be fully integrated into modern digital workflows. As the world’s only six degrees of freedom scanner, Cubit360™ is designed specifically to digitise conventional dental impressions with exceptional detail and consistency.

The system allows fast and intuitive scan capture, making it particularly well suited to

complex treatment types where accuracy is critical. By simply positioning the impression in front of the scanner, a high-quality digital file can be created and shared with the laboratory immediately. This removes the risks associated with physical transport, such as distortion, loss, or damage.

the right tool for each case

Intraoral scanners play an important role in contemporary dentistry and are an excellent choice for many indications. However, not all cases are ideally suited to intraoral capture. For situations where conventional impressions offer greater accuracy, the ability to digitise those impressions efficiently and reliably becomes invaluable. By combining established impression techniques with advanced digitisation through Cubit360™, clinicians can maintain accuracy across a broader range of cases— without sacrificing the efficiency, connectivity, and convenience of digital workflows. Making informed, case-specific decisions about impression taking ultimately supports better clinical outcomes and greater confidence for both clinicians and patients. For more information about Mimetrik, please visit https://mimetrik.tech/ n

about the author alyn morgan, co-founder and CeO University of Leeds spin-out company mimetrik Solutions.

This

Surgical success of the TMJ

Jaw pain has a huge impact on quality of life. It can deprive patients of their favourite foods, lead to disrupted sleep, affect socialising and ultimately is associated with mental health disorders. Temporomandibular joint disorder (TMD) is a complex chronic pain disorder and a common source of jaw pain, with a prevalence reportedly as high as 25%. Because of its ability to reduce quality of life, treating TMD is a priority for patients. From making oral hygiene more difficult to altering diet, jaw immobility can have multiple repercussions on overall health if neglected. As dentists and oral surgeons trained in TMD are often the first port of call for vulnerable patients, they must be able to determine the specific treatment type needed and educate patient on the ways they can restore strength and function to the temporomandibular joint (TMJ).

Degrees of severity

As the TMJ is the hinge-like joint where the jawbone and skull meet, it can be a challenging area to treat. The symptoms of TMD – including pain around the jaw, ear and temple, headaches, and difficulty opening the mouth – can be reduced with several at-home remedies. These include:

• A soft food diet, such as soups and pasta

• Using ice packs or heat packs –whichever feels better – to ease pain

• Massaging the jaw muscles

• Finding ways to relax and avoid clenching

Whilst effective at reducing symptoms, these solutions are not permanent. Surgery may be the only option to restore full use of the TMJ. Patients may enquire about surgery in the hope of fully fixing their discomfort – but what are the treatment options and who is suitable for which?

The NHS advises TMJ surgery for patients who meet a core eligibility criterion, such as urgent treatment, reconstruction post cancer, congenital deformities, and tissue degenerative conditions that require restoring function. Patients who do not meet these criteria may seek private healthcare; dental practitioners should only recommend this if the patient is reporting consistent and intense pain, is unable to fully open or close their mouth, and has trouble eating and drinking. Any radiological scans that pick up specific structural problems or diseases in the jaw joint should also be deemed necessary of surgery.

a trio of wonders

There are three main types of TMJ surgery: arthrocentesis, arthroscopy, and open joint surgery. Arthrocentesis is the most minimally invasive; it involves injecting fluid into the TMJ to wash out any chemical by-products of inflammation, reducing pressure. Delivered swiftly, patients can be home the same day and 80% will see an improvement in their TMD symptoms.

Arthroscopic treatments have longer recovery times, ranging from several days to a week. A cannula is inserted through a hole in the skin above the TMJ, allowing

a camera to visualise the joint so it can be operated on with tiny surgical instruments. Arthroscopy can remove scar tissue, reshape the joint, inject medication and regulate pain and swelling.

The most severe TMD patients may need open joint surgery. For patients, this can be a daunting experience: an incision is made over the TMJ so that the joint itself can be operated on. Certain circumstances may require patients to undertake this treatment, such as an inability to reach the TMJ arthroscopically, if the joint tissue has fused with cartilage and bone, or if the jaw or TMJ disc is damaged and needs replacing.

Complications exist – injury of facial nerves, infections around the surgical site – but the results of TMJ surgery can be life-changing and long-lasting – one TMD patient made news headlines recently after receiving full jaw replacement surgery. This restored function following over a decade of locked jaw and a limited diet.

rehab habits

Regardless of treatment type, the rehabilitation period is essential for ensuring long-lasting outcomes. Daily therapy helps regain motion, supporting the orofacial muscles as it adjusts to the surgical outcomes of a restored TMJ. This can help with mastication – getting used to eating harder foods bit by bit – and also with oral health maintenance, enabling patients to better access the posterior teeth for optimal hygiene outcomes.

The OraStretch Press Rehab System from Total TMJ is an essential device for TMD patients following surgery, helping to restore function and increase the range of jaw movement. Suitably sized for travel, the OraStretch Press is simple yet effective, with versions available for children, edentulous patients, limited oral openings and over-/under-jet patients for an all-encompassing experience.

TMJ surgery can reduce chronic pain and discomfort, allowing patients to eat, speak and socialise with greater confidence and comfort. By determining the best ways to manage TMD patients, dental professionals can guide them towards a healthier and happier future.

For more details about Total TMJ and the products available, please email info@totaltmj.co.uk n

about the author Karen Harnott, totaltmJ Operations Director.

Finishing touches in the wax try-in appointment

The denture try-in appointment is a collaborative effort between patient, clinician and laboratory team to ensure a prospective dental restoration has been ideally crafted. It is a great opportunity for a patient to understand what their new smile will look like, and importantly, it gives all parties the chance to identify any problems.

Often, this appointment will be shared between the patient and the practice team. Any feedback, or the go-ahead for final prosthesis creation, will be passed onto the dental technician after the appointment. This doesn’t take away the value that they offer; despite not being there in person, their actions taken before and after the try-in appointment will dramatically affect the final outcome. To understand how dental technicians can best support clinical teams, it’s important to identify how a try-in denture can be optimised, and recognise the potential for effective interventions.

affecting shade and shape

One of the most prominent features of any smile, and a key aspect of any denture, is the teeth.

Studies show that dentists tend to place a greater emphasis on teeth than lips when evaluating a smile alone, but when looking at their interaction with the face as a whole, the impact of the teeth diminishes. During the try-in denture appointment, however, one can expect that both patient and professional will be looking closely at the teeth before all else.

Long before the creation of the preliminary try-in dentures, dental technicians should have a complete understanding of what patients are looking for in their new restoration, and this includes aspects such as tooth shape and shade.

Patients have been shown to judge smile aesthetics, perhaps unconsciously, based on factors such as the width of visible teeth and irregular shaping of the central incisors. An ideal maxillary central incisor should be approximately 80% in width compared with its height, but the literature notes a possible variability between 66% and 80%.

Tooth shade will also play a key role in overall aesthetics. It is the most common smile component to cause dissatisfaction. A brighter tooth shade is generally perceived as more attractive, and clinicians must communicate exactly which shade is preferred. For some, a bright Hollywood smile may be the

ideal, whereas others prefer a more natural appearance. If patients have previously had dentures that they liked the appearance of, it may be preferable to simply replicate these.

the best fit

The try-in appointment is not used to simply judge aesthetics. Instead, the dental team needs to assess the fit, support and function of the provisional denture. Its placement will have an impact on the support of the lip, with aesthetic implications; the buccal corridors; and patient speech, though complete adaption in this latter aspect may not always be achieved in the try-in appointment.

It is the dental technician’s responsibility to craft a provisional prosthesis for the newly designed dentition that meets all requirements. The literature cites common mistakes such as thickened labial flanges, which often create a bulge of the upper lip just under the nose. This then creates an unwanted thinlipped appearance. Instead, most upper lips on natural teeth have a concave appearance, and so a thin labial border is preferred. In the mandible, a thickened labial flange may not push out the lower lip, but instead affect the denture position when speaking or at rest.

The dental technician should use all available impressions and images to help create an optimal fit, and be prepared to make any adjustments – no matter how slight – after the try-in appointment.

replicating the gingiva

An effective wax will aid in the creation of the gingival structure whilst retaining its shape when the denture is placed intraorally. One shouldn’t dismiss the importance of aesthetics here. Whilst patients will anticipate the appearance of the teeth, a denture requires a lifelike appearance of the periodontal structure for a truly effective outcome.

The Aesthetic Wax Kit from Kemdent, designed in collaboration with awardwinning dental technician Jenelle Rocco, helps dental technicians create leading wax try-in dentures. With four colours – Ivory, Ruby, Burgundy, and Plum – technicians can replicate lifelife gums with care and improve the patient experience. As the treatment plan approaches its close, the wax try-in appointment is a key step to finalising an outstanding denture restoration. The dental technician plays an important role, even if they are not in the room for the appointment, and can put the finishing touches on a successful result. For more information about the leading solutions available from Kemdent, please visit www.kemdent.co.uk or call 01793 770 256 n

about the author alistair mayoh, marketing Director, Kemdent.

Not all water flossers are equal. Recommend by name.

Industry leader

Recognised as the #1 selling water flosser brand in the UK and in the world.

Recommended by experts

The most recommended water flosser brand by dental professionals and the only one approved by the Oral Health Foundation.

Bring premium flossing to centre stage. Sign up on our website for the advocacy programme www.waterpik.co.uk The stand-out performance patients need. The name professionals recommend.

Backed by science

Supported by over 80+ clinical research studies. Removes up to 99.9% of plaque bacteria in treated areas* and clinically proven to be 2X as effective as string floss for improving gum health.

*in vitro, data on file

Standing the test of time

With 60 years of innovation, WaterpikTM has been committed to a professional- level clean for over half a century. Based on 2025 independent survey of Dental Professionals; among those who recommended branded water flossers

The margins of excellence: ease, stop and protect

We like to do things well. Even though most of the precision and careful dental work we do goes unnoticed by our patients, that care and attention is part of our professional DNA. As we improve our skills, together with the quality and scope of our work, there are some non-clinical margins we can attend to. Just as we incrementally evolve our dentistry, so we can upgrade the quality of our working days with equally small, gradual improvements. We often think improvement means adding something. Attend a new course. Learn a new protocol. Invest in a new piece of equipment. But, in a profession already full of inputs, perhaps a more valuable question is:

What would make today 1% easier? I think an obvious win is in reducing friction. The tiny resistance that builds across a working day: the cluttered drawer, the slightly chaotic notes system, the rushed five-minute gaps that are never quite enough. None of these are catastrophic. Yet, cumulatively, they create drag and a slow tightening across the day.

Removing friction is rarely glamorous. It might mean standardising something that’s been good enough for years. It might mean one honest conversation about appointment timing. It might mean tidying one small system instead of tolerating it for another 12 months.

These are not wholesale changes. They are margins. A good way to approach this kind of change is to do ‘just one thing’. Instead of looking at the whole picture, just adjust part of it today. You can come back and do some more next week. That one small, incremental tweak means the whole picture is slightly better than it was. We changed the format of our 3-day courses at the end of last year. Instead of three separate sessions over three dates, we trialled running two of the days together. Then we changed the third date to a Saturday in our own practice. This removed friction for us (there’s a lot of physical setting up involved in the training room) and, winwin, our delegates also liked the intensity of two consecutive days and a third shadowing me in practice. Less friction all round.

There is also the improvement that comes from stopping, not starting. As dentists, we are very good at adding. We add CPD, we add techniques, we add commitments. We are less confident with subtraction.

What could you stop doing that would change your day by 1%?

Perhaps it’s checking emails between every patient. Perhaps it’s agreeing to squeeze in ‘just one more’ at the end of an already full session. Perhaps it’s mentally replaying a perfectly adequate case long after it’s finished. Excellence is not always about doing more. Sometimes it is about protecting energy with quiet discipline.

Where can you protect a boundary?

• Is your working day structured in a way that allows you to think clearly?

• Is there a moment to reset between complex cases?

• Do you ever protect a small pocket of time that is not immediately consumed?

• Do you stop for a proper lunch break?

One protected boundary – a realistic finish time, a rule about diary overflow, including admin time between appointments – can alter the look of your entire week.

I know a clinician who finishes on time every day and does not work outside her set hours. It can sound old-fashioned, even invite questions about dedication. Yet, you will struggle to find anyone more focused on excellence. She protects that boundary so she can perform at her best while she is at work. It is quietly refreshing. Working defined hours is hardly revolutionary. Yet, in today’s always-on culture, it can feel almost radical.

The philosophy of continuous improvement is often associated with

Sweating the asset

Firstly, you need to know where I stand – I dislike this phrase, ‘sweating the asset’, in much the same way that I dislike the other macho-sounding language of business, which makes it appear aggressive and polarising and where there must be winners and losers.

I understand why it’s used, and some individuals who use it may well have good intentions. Perhaps they have read or heard some ‘business guru’ or other, who suggests it as a tactic to increase profits. But, whenever it is quoted to me, I tend to dismiss it for the short-term, often-desperate, measure that it is. One definition, ‘extracting the

most possible work out of the most productive employees,’ suggests the reason it fails.

It is often used in dentistry to encourage practice owners or managers to maximise use of their surgeries. Perhaps with 12+ hour days and opening six or even seven days a week.

In the UK, the term came into vogue during the mid to late 20th century, particularly around the privatisation of state-owned industries during the 1980s. At that time, it was said that nationalised industries were underutilising their physical assets and private ownership would ‘sweat’ them just as a ‘labourer’ (or perhaps a pit-pony?) sweats when doing more or harder work.

Please don’t misunderstand me; I am all for efficiency and utilising team members, machinery or even a building. Of course, I am in favour of getting more from less, eliminating waste (especially time) and improving returns. These are all elements on which I have helped myself, when I was a principal, and others to better their businesses.

However, everything and everybody has a breaking point and even

industry and productivity. Yet, in clinical life, improvement can be more subtle. It can be about the quality of attention, the reduction of unnecessary stress, the removal of small irritations that erode our patience and comfort.

Over time, these 1% shifts become protected standards in the form of:

• A slightly calmer diary

• A slightly clearer head

• A slightly more sustainable pace

Dentistry practised in constant friction is harder to sustain. Dentistry practised with a little margin is easier to do well. Perhaps for 2026 we don’t make it all about stretching further. Maybe it’s about refining the edges of how we work, until the day feels just a little smoother than it did before. I’m going to try for 1% easier, 1% more efficient and 1% of better boundaries as a good place to start. n

About the author Dr Dhiraj Arora BDs MJDf rCs (eng) Msc (endo) pG Cert Ce owner of evo endo, with three practices (limited to endodontics) in Twickenham, Gerrard’s Cross and slough. Dhiraj is a passionate teacher and ambassador for all things endo. follow him on instagram: @drdij_evoendo

equipment needs a rest. In his recent book, Maintenance: Of Everything. Part One , Stuart Brand (founder of the Long Now Foundation) makes the argument that maintenance –understood as the entire effort of keeping things functioning – is vitally important. He writes, “Maintenance is absolutely necessary, yet perpetually easy to defer.”

During the stop fortnights of the steelworks where I worked in the 1970s, 90% of the workforce went on holiday. This provided the opportunity to dismantle the rolling mills and other machinery to examine for signs of wear and to replace vital parts. No place can work flat out all the time and a breakdown in a steelworks can lead to loss of life… and money.

Add to that, the pressure that is put on staff (when they are

treated as assets rather than individuals) rarely leads to maximum production. Indeed, more often, the culture becomes one of overwork, burnout, lower morale and higher turnover.

The other element to be considered is that, if you are going at 100%, you have little chance to ‘adapt, adopt and improve’ your business. Your management will probably be so busy trying to cope by fire-fighting that any innovation or change is impossible to introduce.

Rest. Recovery. Reappraisal. Renewal. These are vital for humans, machines, businesses and organisations of every kind.

“Sweating the asset” rolls off the tongue easily and, like all catchphrases, sounds like a solution to many challenges. I wish that life were that easy. n

Spring clean your wellbeing

Why letting go creates space to thrive

There’s something about spring that invites us to press refresh.

As the lighter mornings roll in and the buds begin to bloom, nature reminds us that growth needs space. And that means letting go of what no longer serves us.

We often think of spring cleaning in terms of our homes, but what about our wellbeing? Decluttering isn’t just about clearing out cupboards. It’s a powerful wellbeing strategy that applies to your mind, physical space, relationships, and even your team dynamic. In dentistry, where the pace is fast, the pressure is high, and the expectations are constant, taking time to declutter might seem like a luxury, but in reality, it’s one of the most impactful things you can do.

Let’s look at four areas where a spring clean can boost your energy, focus and performance without costing a penny.

1. Declutter your mind

A cluttered mind is like disorganised surgery drawers – you can’t find what you need, and everything takes longer. Mental clutter shows up as worry, guilt, indecisiveness, lack of creativity, overthinking, or a relentless to-do list that never seems to get shorter.

Start by identifying what’s taking up unnecessary space. Are you ruminating over a conversation?

Carrying stress that isn’t yours? Holding onto guilt over something you can’t change?

Try a 5-minute ‘brain dump’ each morning: write down everything swirling in your head. You might find half of it doesn’t even need your attention. Letting it out clears mental fog and helps you focus on what matters.

2. Declutter your space

Your environment reflects your mindset. A chaotic desk, cluttered drawer, or surgery overflowing with unnecessary materials and equipment can subconsciously add to your stress. Even 10 minutes of decluttering can make a difference. Organise your drawer, clear your desktop, or tidy the staffroom. You’ll be amazed how quickly it shifts your energy. This also includes digital clutter –delete emails you’ll never read, clear your downloads folder, or mute the WhatsApp groups that don’t inspire you.

3. Declutter your energy

This one’s powerful: it’s time to let go of people, habits, or behaviours that drain your energy.

This doesn’t mean cutting people off, but it might mean setting boundaries, especially with team members who seem to thrive on drama or negativity. Notice how you feel after spending time with someone – do you feel heavier or lighter?

Creating a more energised working environment starts with awareness. Protecting your energy isn’t selfish. It is necessary for sustainability in highpressure settings like dentistry.

4. Declutter your team narrative

This one might sound surprising, but sometimes, even losing a team member can be a gift in disguise. Yes, staff changes are stressful – there’s extra workload, training and disruption. But it also creates an opportunity. A resignation might just be the shift your team needs to move forward, reset dynamics, or bring in fresh energy.

Letting go of the idea that ‘things are falling apart’ allows you to ask, “What could this make space for?” Could it be a chance to re-evaluate roles, improve systems, or bring in someone more aligned with your values?

Decluttering in this sense is about choosing to see the opportunity instead of the disruption.

Letting go creates space for growth Wellbeing isn’t about perfection. It’s

about finding what gives you energy and releasing what doesn’t.

As you move into spring, take a few minutes to reflect:

• What do I no longer need to hold onto?

• What could I clear – physically, mentally, or emotionally – to feel lighter?

• What am I making space for?

And remember, you don’t have to do it alone.

The BREATHE and Silver NAIL IT in Dentistry platforms are your free, dental-specific wellbeing resource. From reflective tools and quick wins to team strategies and leadership support, it’s designed to meet you where you’re at.

Because sometimes the best way to move forward is to let go and enjoy the ride. n – breathedentalwellness.org – nailitindentistry.com/silver-membership

About the author Dr rana Al-falaki, founder of nAiLiT in Dentistry, has collaborated with oCDo england on a new, free wellbeing resource – BreATHe

The future of BADN: Your voice, your decision

BADN members should have recently received an email from BADN Chairman Ruth Garrity RDN, informing them of a proposal received from Community to merge the two unions.

This is not, of course, a decision that can be made by any individual or, indeed, by the Executive Committee – BADN is a democracy, not a dictatorship! In fact, Exec Committee decisions are made, if at all possible, by consensus and, if not, by a majority vote. No one member of the Exec takes precedence or has decision-making rights. And on a matter of this magnitude, which will determine the future of the Association, it is the members who must decide.

employment rights update

As of April 2026, the Employment Rights Act will bring three major changes to Statutory Sick Pay (SSP) – what every employer has to pay employees who are off work sick.

First, SSP will now start from the first day of absence due to sickness. Currently, SSP is only paid after the employee has been off work for three days. So, for those three days, they might have received no pay at all, with SSP paid from the fourth day. From April 2026, they will receive SSP from the first day of sickness.

Second, the removal of the Lower Earnings Level (LEL) means that all employees, including part time and lower paid employees, will receive SSP. At the moment, employees must have average weekly earnings (AWE) of at least £125 to qualify for SSP. Third, the new SSP rate for lower earners means that employees earning less than a specified income threshold – which has yet to be determined – will receive 80% of their average weekly pay. So, all dental nurses (who are employed) will be entitled to SSP, from the first day of sickness – and, very probably, more than they are receiving at present.

So, in a few weeks, current paid up Full and Student members will receive a ballot form in the post (it has to be via the post as government regulations do not allow union ballots to be held online). The ballot will be conducted by an independent third party: Civica, formerly the Electoral Reform Society.

To assist members in making an informed decision, a Coffee CatchUp was scheduled for members at the end of February with Tiffany Gillies, Deputy Operations Director of Community, who explained who and what Community is, while also answering any questions.

There will also be several other emails sent to members, explaining what Community is offering and what the proposed merger would mean to BADN members, should they agree to it. A FAQ sheet will be available shortly on our website; and members can send questions to enquiries@ badn.org.uk.

The Association was founded in 1940 as the British Dental Nurses’ and Assistants’ Society. It underwent a few minor name changes, until dental nurses became known as Dental Surgery Assistants, due to objections to use of the term ‘nurse’ from general nurses – when it became the Association of British Dental Surgery Assistants (ABDSA). The badge/logo was, at that time, the famous ‘star’ badge (if you still have one, hold on to it – I am convinced they are going to be worth a bit in the future!), but changed in 1990 to the oval yellow badge with ABDSA in the centre. In 1994, the Association reclaimed the title ‘dental nurse’ and the Association became the British Association of Dental Nurses (BADN) with the current badge/logo. It had become an independent trade union in 1976.

Just for the avoidance of doubt, I should like to say at this point that I do not, as Chief Exec, have a vote – neither in Exec Committee decisions nor in the forthcoming ballot. And neither do the other two members of BADN staff.

In fact, I shall be retiring within the next 12 to 18 months. I have enjoyed my 35 years with the

Fawn in the headlights

Irecently ran a leadership course for 12 Practice Managers. We called it 12 PMs and 12 Hard Truths , not to be dramatic, and certainly not to complain, but because there are realities in dental practice management that we have to face head on.

This is one of the most regulated sectors in the UK. That isn’t going to change. CQC expectations, compliance, HR issues, patient complaints, recruitment pressures, financial targets – it’s constant. And alongside all of that, there’s the emotional weight of the job. Supporting stressed clinicians. Managing anxious patients. Holding teams together when morale dips. It’s a lot.

One of the biggest shifts in the room happened when we stopped wishing it were different. The pressure isn’t going away. The regulations won’t suddenly relax. Patients won’t become less demanding. When we accept that, rather than resist it, something changes. We stop wasting energy

fighting reality and start focusing on what we can control.

Another hard truth: leadership isn’t about being liked. It’s about being clear. Teams don’t need a best friend; they need consistency. They need to know where they stand. Avoiding difficult conversations doesn’t keep the peace – it creates uncertainty. Calm, direct leadership builds trust far more effectively than peoplepleasing ever will.

We also explored stress responses – fight, flight and freeze – and the less talked about ‘fawn’. In practice management, you can see all of them. Fight might look like defensiveness in a compliance meeting. Flight can show up as putting off a difficult conversation. Freeze appears as indecision. Fawn is the one many managers recognise in themselves: over-accommodating, saying yes when they mean no, softening standards to avoid conflict. In a regulated environment, that fawn response can quietly cause problems. Standards slip. Boundaries blur. Accountability weakens.

Association, although I won’t deny it has been stressful at times. I have worked with some wonderful, passionate, dedicated women who gave freely of their time and expertise as Presidents, Councillors, Exec members, Representatives or Officers – not to be famous on social media, get ‘likes’ on Instagram or to be big fish in a relatively small pool – but because they genuinely wanted to improve the lot of their fellow dental nurses and support the dental nursing profession! I shall greatly miss it when I go and would like to feel that I have left it in safe hands.

BADN will be at all the usual major Shows in 2026 – starting with Dental Showcase at ExCel in March – so come along and say hello! n

About the author pam swain MBe is Chief executive of BADn

The key is awareness. When managers understand their own stress patterns, they can respond rather than react. When they regulate themselves, the whole practice feels steadier. The tone shifts. What struck me most was this: when managers faced these hard truths honestly, the role didn’t feel heavier. It actually felt lighter. Not because the responsibility disappeared, but because they stopped fighting it.

We can’t change the regulatory framework. We can’t remove all pressure. But we can invest in developing our managers properly – not just in systems and compliance, but in leadership skills. Communication. Boundaries. Emotional regulation. Decision-making.

That investment isn’t a luxury. In dentistry, it’s essential. When we accept what we can’t change and improve what we can, we lead more clearly and more calmly. And quietly, without drama, we become more effective. And perhaps, just as importantly, happier in the role too. n

About the author Lisa Bainham is president at ADAM and practice management coach at practice Management Matters.

The power of in-person events in dentistry

Iarrived at the Denplan Ski Conference as a complete non-skier, more nervous about stepping onto the slopes than delivering CPD. Five days later, I left with new skills, new confidence, and a powerful reminder of why in-person events matter within the dental profession. What surprised me most wasn’t just that I learned to ski, but what that journey taught me about leadership, vulnerability, and the true strength of community.

Day one of ski school, I felt completely out of my depth, mirroring an often-shared experience in dentistry. Whether you’re a practice owner navigating compliance and business pressures, a clinician balancing growing patient expectations, or part of the wider dental team facing daily operational challenges, there are moments when we all feel like beginners again. Dentistry is complex, demanding, and constantly changing, and it takes courage to move forward when you’re not fully sure of your footing. Skiing showed me that courage doesn’t always look bold or confident; sometimes it’s simply choosing to try.

Beyond my personal adventure, what made this conference truly exceptional was the people. New and familiar faces reconnecting, laughing, and cheering each other on. Genuine camaraderie threaded through every conversation, whether on the slopes, over coffee, or during evening sessions. There was an honesty you rarely get in day-to-day practice life, people openly discussing the real challenges they face – from recruitment struggles to compliance pressures to sustaining business growth in a competitive landscape. And as those conversations unfolded, so did peer support, shared wisdom, and a collective willingness to help each other find solutions.

Dentistry can feel isolating, but it doesn’t have to. When we meet in person, guards drop. We rediscover the value of connection, the relief of being

Power of your peers

When patients require support for an oral health concern, be it pain and discomfort or an aesthetic issue, they will need to find a dental professional they can rely on. Of course, searching the internet may be the first port of call, offering easier access to high quality information from our smartphones, but nothing matches the direct guidance of a trusted clinician.

The same can be said for dental professionals looking for advice on the optimal restorative dental materials to use in a given clinical situation. The insights offered from experienced clinicians who actively use such solutions can be extremely useful, alongside demonstrations and hands-on experience with trial products.

Clinicians should recognise why advice and reviews from peers can be helpful when making decisions that potentially affect clinical outcomes, as well as understand what they want to know exactly about everyday restorative materials.

Why we look to advice

Dental professionals learn their trade in academic institutions under the guidance of experienced clinicians. This creates opportunities to develop an understanding based on a tutor’s previous experiences and developed knowledge. The preference for insights that are supported by experienced peers then continues long into professional life.

A 2019 study found that general dentists who pursue formal advanced training are inclined to prefer peer-reviewed journals as opposed to other publications. With experience, clinicians often then develop a preference for curated and morecondensed materials.

However, the same study went on to say that dental professionals show a preference for interpersonal sources over all others. This means that daily access to other dental colleagues can reduce the importance of print resources (both peerreviewed and otherwise) when locating new information, be that on clinical techniques, new workflows, or innovative solutions. Why are the thoughts of peers so important? Firstly, clinicians will be able to provide nuanced insights into how to make the most of a solution. Dental professionals perform a unique clinical role, and often times those who carry out similar daily tasks can seem like the only people who understand what makes a difference, be it in the handling of a solution, or how simple it is to store, alongside the clinical results. Clinicians who recommend a solution or service are also connecting the care that they provide with an item, and such an endorsement can carry weight, especially from well-known figures in the professional space.

personal checklist

Each dental professional will have their own unique demands of a restorative solution. This can come from experience in everyday care, where previous treatments have highlighted an aspect of a product that can be key to success. For example, when looking for a reliable adhesive solution, a dental professional may appreciate a level of radiopacity that reduces the risk of misdiagnosed secondary caries in the future. Many dental adhesives are radiolucent in a radiograph, creating the opportunity for misdiagnoses and invasive retreatment – this creates discomfort for the patient, and may demand more of their time and money to replace a restoration.

understood, and the wisdom that comes from shared experience. These moments create space for reflection, encouragement, and new ideas – the kind of support and inspiration that isn’t easily replicated online. What stood out consistently throughout the week was how openly everyone supported one another, and how strongly Denplan continues to stand beside its members. Not only through structured learning or business guidance, but by building spaces where real relationships grow, where challenges are discussed without judgement, and where professionals can reconnect with both purpose and passion.

I went to Austria expecting learning, networking, and stunning scenery. I left with something far more impactful: a renewed belief in the power of bringing people together. A reminder that in-person events are not just professional gatherings; they are places where confidence grows, where stories are shared, where community is strengthened, and where we find the courage to face what’s ahead, both on the slopes and back in practice. n

About the author

Lianne scott-Munden, Clinical services Lead at Denplan.

Recognising which properties of a restorative solution are particularly important can enable clinicians to seek out recommendations that highlight such concerns, and potentially present new key points that hadn’t previously been considered.

This can also help dental professionals find trusted brands that consistently aim to tackle everyday clinical problems, and provide effective solutions that make a material difference to care. When such solutions are paired with positive testimonials from professionals that use them regularly, clinicians can be even more confident in the investment in their practice.

solutions you can trust

Finding reliable recommendations is possible in a variety of ways. Firstly, prominent awards within dentistry will often be decided by those in the profession, and may highlight both long-standing solutions, and new items that can change your care immediately. Clinicians will also be able to find testimonials online and in print materials, with recorded video recommendations allowing professionals to note their preferences and often show a given material in use.

Solventum, formerly 3M Health Care, understands the value that insights from professional peers can have when choosing high-quality restorative materials. This is why they present ‘Peer power: Sharing success’,

which highlights the thoughts of leading dental professionals Dr. Claire Burgess, Dr. Chris O’Connor and Dr. Akit Patel regarding the award-winning 3M™ Scotchbond Universal Plus Adhesive and 3M™ RelyX™ Universal Resin Cement. Each can be used separately for a variety of clinical indications, but together they create an enhanced bond to all dental substrates, for long-lasting restorations. Each professional’s unique insights and experiences can be found online. Every day, dental professionals make decisions based on the guidance of others. It’s simple to see why, with the importance placed on clinical insights alongside personal demands of restorative materials, each coming together to improve the patient experience.

To learn more about Solventum, please visit https://www.solventum.com/en-gb/ home/oral-care/

For more updates on trends, information and events follow us on Instagram at @solventumdentalUK and @solventumorthodonticsemea n

©Solventum 2024. Solventum, the S logo and Filtek are trademarks of Solventum and its affiliates. 3M and Scotchboned are trademarks of 3M company.

AI oversight and the future

Raj Rattan, Dental Director at Dental Protection, considers the future of dentistry in light of AI advances

The future we imagine for dentistry is already at our door, given the pace of development. Advancements in dentistry have been driven by developments in materials science and technology. From the high-speed handpiece to digital radiography and CAD/CAM, innovation has reshaped clinical dentistry – what we do and how we do it.

Artificial intelligence (AI) represents something different. It is an evolving system capable of interpreting data, analysing images, predicting outcomes and, sometimes, recommending interventions.

Ai oversight

At the centre of today’s debate on AI in healthcare is the question of oversight. Most current frameworks, including Dental Protection’s AI Safer Practice Framework 1 , emphasise human-in-the-loop (HITL) systems – AI outputs that are supervised, validated, and ultimately signed off by a human clinician. The logic is straightforward: humans bring professional judgement, context, and accountability. In this way, the dentist is seen as the strong link in the chain, ensuring that patient safety is not compromised by technology and algorithmic limitations 2 This assumption deserves closer examination. Why do we believe that humans always get it right? The dentolegal and medicolegal case experiences tell us otherwise. Clinicians are fallible. Diagnostic error remains one of the leading causes of harm in healthcare worldwide. Cognitive biases, such as confirmation bias, anchoring, and availability heuristics, distort decision-making even in experienced hands. Stress, fatigue, workload, and commercial pressures also take their toll. The truth is that the ‘human factor’ is already a weak spot in clinical safety 3

By positioning HITL as the ultimate safeguard against AI error, we risk overestimating human reliability while underestimating human vulnerability. Take radiographic diagnosis, for example: AI systems are already showing accuracy comparable to, and sometimes exceeding, that of dentists when detecting caries or periapical pathology4

the ViE model

What exactly is the healthcare professional’s role in overseeing these technologies? Let’s consider this under the VIE model (see Figure 1), a continuum that helps frame this responsibility. It is a continuum of development in dental oversight – beginning with verification as the foundation, expanding through interpretation to add clinical meaning, and extending into enablement.

Safe practice depends on reliable information, sound judgement, and safe delivery.

• Verification asks: Is the information reliable?

• Interpretation asks: Is the judgement sound?

• Enablement asks: Is the intended action safe and properly delivered?

paradox

As AI continues to improve, the difference between human and machine performance may widen. The clinician may increasingly become the weak link, slower (although that may be an asset), more inconsistent, and more error-prone than the technology. At that inflection point, the original logic of HITL starts to reverse. Instead of being the strong link that corrects machine error, the human risks becoming the weak link that introduces error into an otherwise reliable system. It is an unsettling paradox.

the current position

I must stress that I am not suggesting that the trust and reliance of human oversight is misplaced. Quite the opposite. At present, AI systems remain fragile. They lack transparency and are vulnerable to bias in their training data.

AI cannot fully understand the human dimensions of care – patient values, preferences, and context. The clinician is still essential, not just for validating outputs but also for discussing outcome uncertainty and obtaining consent, for example. These responsibilities cannot be delegated to algorithms.

looking ahead

We must also look ahead. Large language models (LLMs) and other generative AI systems are advancing rapidly. Their ability to synthesise information, adapt to context, and mimic reasoning suggests that autonomous AI in healthcare may be on the horizon.

When that day arrives, the key question will not be whether humans should stay in the loop, but whether the loop itself should be redesigned.

We cannot cling to the belief that human oversight will always be the gold standard of safety. Instead, we must be realistic about both the strengths

and limitations of human judgement, and we must develop governance frameworks that can evolve as the balance of responsibility between humans and machines changes 5

Facing the future

We must approach it neither with blind optimism nor paralysing fear, but with reason and clarity. LLMs may also lay the groundwork for a different future – one in which autonomy in AI is an operational reality. Autonomous AI can offer answers, but it cannot assume responsibility. VIE ensures responsibility always has a human anchor.

As I finish writing this article, I receive an email from an AI developer I have spoken with before. The subject line of the email reads ‘autonomous AI’, and an attached non-disclosure agreement is included. The email offers further insight into autonomous AI in healthcare.

I am reminded of Einstein’s words: I never think of the future. It comes soon enough. It just did. n

References

1. AI Safer in Practice

2. Shortliffe, E. H., & Sepúlveda, M. J. (2018). Clinical decision support in the era of artificial intelligence. JAMA, 320(21), 2199–2200.

3. Topol, E. (2019). Deep Medicine: How Artificial Intelligence Can Make Healthcare Human Again. Basic Books.

4. Rajpurkar, P., Chen, E., Banerjee, O., & Topol, E. J. (2022). AI in health and medicine. Nature Medicine, 28(1), 31–38.

5. European Commission. (2024). Artificial Intelligence Act. Brussels.

About the author Raj Rattan, Dental Director at Dental protection.

Figure 1 : the ViE model. A shift from verification in the present to enablement in the future.

Harness the power of AI

Accelerate your implant planning workflow with CS 3D Imaging Premium

Work smarter not harder with CS 3D Imaging Premium, the AI-powered software that accelerates your implant planning workflow by automating tasks and simplifying 3D case sharing.

Try CS 3D Imaging Premium for free and unlock new features to enhance your treatment planning and boost your productivity.

Learn more at Carestreamdental.com

30-day free trial

© 2025 Carestream Dental LLC.

*Automated implant placement limited to a maximum of three teeth in the mandibular region. Initial proposal should be controlled by the clinician and might require some adjustments by the clinician.

Introducing The Dental Awards 2026 judging panel

Meet the extraordinary line up of industry professionals that form the judging panel for this year’s Dental Awards

Stephan Avetoom - Chairman, CDTA

Alongside clinical practice, Stephan became increasingly aware of the lack of recognition and representation for Clinical Dental Technicians (CDTs(). Working with a group of like-minded colleagues, he revived the dormant Clinical Dental Technicians Association (CDTA), establishing a modern constitution and clear strategic aims. Today, the CDTA is recognised as a stakeholder by the GDC and Government, and continues to advocate for an expanded Scope of Practice and stronger integration of CDTs within the wider dental team, particularly within the NHS.

Lisa Bainham – President, Assoc. of Dental Administrators and Managers (ADAM).

Lisa originally trained to be a dental nurse at North Staffordshire Hospital and qualified in 1994. Originally working in an orthodontic practice, she then developed an interest in practice management and came to join Steve Lomas, as the practice manager at The Old Surgery, Crewe, when the practice opened in 1998. She has a true insider’s knowledge of what it takes to be a Dental Awards winner, having won the Practice Manager of the Year category in 2016. Lisa became President of ADAM, which has over 500 members throughout the UK, at the end of 2016.

Debbie Hemington – President, British Association of Dental Therapists

Debbie is President of the British Association of Dental Therapists, and works to support and represent current and future dental therapists.

Preetee Hylton – President, The British Association of Dental Nurses

Preetee works full-time as a dental nurse and safeguarding lead at a private dental practice in London. She is actively involved in education and training as she delivers the NCFE CACHE Level 3 Diploma in Principles and Practice in Dental Nursing. Additionally, she serves as an Associate Examiner for the National Examining Board for Dental Nurses (NEBDN). She is also an honorary ambassador for the Mouth Cancer Foundation. Preetee’s contributions to the dental community extend beyond her work – she is an editorial board member of the Dental Nursing Journal and regularly authors articles.

Rhiannon F Jones – President, British Society of Dental Hygiene & Therapy

Rhiannon has been a dental clinician for over 25 years and is currently the President of the British Society for Dental Hygiene and Therapy. She works clinically as a dental hygienist and dental therapist and has worked in hospitals and general practice as well as a clinical lecturer on a dental hygiene and therapy course.

Rhiannon was elected as BSDHT’s President-Elect at the AGM in November 2022 and began her twoyear term serving as President in November 2024.

Paroo Mistry – Member of The Probe‘s editorial board.

Paroo is a Consultant Orthodontist. She divides her time between Chase Farm Hospital and her private practice in North London. Paroo has been a judge on the Dental Awards since 2008.

James Neilson - President of the British Association of Clinical Dental Technology

James is a passionate clinician, technician and educator with over 25 years’ experience. He started his career at a multi-disciplinary laboratory where he became Prosthetics Manager, and later a Director. In 2008 he qualified as a Clinical Dental Technician, since then he has worked in Dorset, the Midlands, Cardiff, and Dundee, alongside running his own Dental Laboratory. He has taught from college to post graduate level and currently works as a Dental Instructor at Dundee University. He also acts as an expert witness, as well as being active across several associations and is current President of the British Association of Clinical Dental Technology.

Tim Newton – President of the Oral Health Foundation

Tim Newton is a Psychologist who has spent over 30 years working in dental settings with the goal of ensuring that everyone has the opportunity to enjoy the benefits of good oral and dental health. He is particularly concerned with addressing the needs of people who are anxious about attending the dentist, and in encouraging dental healthcare professionals to work with patients to develop healthy behaviours. Tim is employed by King’s College London as Professor of Psychology as Applied to Dentistry, spending half his time working as Honorary Consultant Health Psychologist. Tim’s clinical work is focussed on individuals with dental phobia, and support for individual’s facing challenging dental procedures.

Amanda Oakey – Director of Education, British Dental Health Foundation

Leading the educational resources team, Amanda manages all educational resources from the Foundation. This includes marketing and selling existing products as well as purchasing and developing new resources. Amanda executes the creation and implementation of agreed projects is in charge of creating campaign products including National Smile Month and Mouth Cancer Action Month. She also is in charge of distribution of resources along with managing exhibition presentations.

Amit Patel – Specialist in Periodontics & Implant Dentist

Amit is registered with the General Dental Council as a Specialist in Periodontics. Alongside his private practice, he also works as Associate Specialist in Periodontics and

THE DENTAL AWARDS

THE DENTAL AWARDS

2026

Honorary Clinical Lecturer at the University of Birmingham Dental School. His special interests are dental implants, regenerative and aesthetic periodontics. Amit graduated in Dentistry from the University of Liverpool in 1997. Following a training post in Restorative Dentistry at the Liverpool Dental School he gained significant experience in Oral and Maxillofacial surgery through 3 prestigious hospital posts. He obtained his Membership of the Faculty of Dental Surgeons at the Royal College of Surgeons in Edinburgh in 2000. This training involved acquisition of the most up-to-date techniques in Periodontics and Implantology under the expert supervision of Professor Richard Palmer who was appointed the first Professor of Implant Dentistry in the United Kingdom. Amit then obtained his Membership in Restorative Dentistry from the Royal College of Surgeons of England and became a registered Specialist in Periodontics.

Dr Davinder Raju – Dove Holistic Dental Centre

Dr Raju gained his dental degree from the University of Liverpool and a Masters in Advanced Minimum Intervention Restorative Dentistry (MSc) from Kings College, London. He developed his interest in sustainable dentistry while he was undertaking his MSc., deciding he wanted his approach to clinical dentistry to be reflected in all aspects of his life. He went on to establish the first fully sustainable practice in the UK, the Dove Holistic Dental Centre in Sussex. In 2021 he launched the Greener Dentistry Global toolkit and accreditation programme to share his knowledge and experience with colleagues wanting to embark on a more sustainable way of working.

Now a recognised authority on sustainable dentistry in general dental practice, Dr Raju has written and lectured widely. He is a contributor to a book aimed at primary care to be published later this year, and he has been nominated for a fellowship of the International College of Dentists.

Amanda Reast – Multi Award-Winning Practice Manager

Amanda is Business Manager at The Dental Architect – Practice of the Year Award winner in 2023.

In 2024, Amanda was recognised as Practice Manager of the Year by The Probe ’s Dental Awards and also at The Private Dentistry Awards, making her a Multi Award Winning Practice Manager.

Rebecca Silver - Treasurer, British Association of Dental Nurses

Rebecca is a multi-award winning dental nurse with almost 15 years of experience working in dentistry. She has worked within the NHS and private dentistry as well as working with numerous dental specialists. She has dental nursing experience in assisting in endodontics, periodontics, oral

surgery, orthodontics, conscious sedation, prosthodontics, implants, facial aesthetics and a range of dental treatment. She has gained post-qualification certificates in Oral Health Education and Dental Nursing Sedation. She obtained fellowship to the British Association of Dental Nurses in 2023.

Anshu Sood – Clinical Practice Director on the Board of the British Orthodontic Society

Anshu, Joint Clinical Director of Helix House Healthcare, is a Specialist Orthodontist and qualified dentist renowned for creating beautiful smiles through tailored treatments, including aligners and fixed braces. Her commitment to excellence is complemented by leadership roles as former Chairperson of the Orthodontic Specialist Group and Clinical Practice Director on the Board of the British Orthodontic Society.

A Key Opinion Leader for Dental Monitoring, Anshu integrates cuttingedge technology into orthodontic care and frequently lectures at national and international conferences.

Beyond her profession, Anshu enjoys international travel, open-water swimming, and scuba diving, reflecting her adventurous and balanced approach to life.

Hugo Sousa - CGDent Faculty Board member

After graduating in Dental Technology from the University of Lisbon and gaining professional experience in Portugal, Hugo moved to England to further develop his clinical and technical expertise, since completing advanced training internationally — including a morphology course at the Osaka Ceramic Training Center and a Master’s degree at Cardiff Metropolitan University. Hugo is currently a PhD candidate at the University of Lisbon, and serves as a tutor at The University of Greater Manchester, Cardiff Metropolitan University, and Egas Moniz School of Health & Science.

HySolate SyntX Dam

The most advanced latex free dental dam for faster isolation and con dent retraction.

Bene ts

Extremely elastic and resistant ensuring stability and impeccable isolation

Same retraction properties as the best latex dams

Easy to position even in complex operative situations

Blue color enhances contrast for improved visibility

Pre-printed on one side

100% latex free, non-allergenic polyisoprene dam

Why HySolate SyntX?

No tearing during placement

Reliable isolation every time

Pre-printed for faster punching

With pre-printed template

Designed for connection. Built for better dentistry.

A glimpse into the future at the W&H Seethrough launch

Acrowd gathered beneath the railway arches in central Manchester recently for the highly anticipated launch of the innovative new W&H digital solution, Seethrough. Based on solid research from opinion leading dental teams, W&H has developed a strong digital workflow, removing the issue of a fragmented digital ecosystem, so often seen in this market.

Adding to W&H’s solid portfolio of industry leading, cutting-edge solutions, Seethrough brings to life the Clearly Connected concept. There was no doubt from the start that this was going to be a truly special evening.

The launch took place at 53Two, a striking venue with an industrial-chic setting that echoes the spirit of the city’s iconic Britpop era, which provided a dynamic backdrop for a forward-looking digital debut. With over 100 invited guests in attendance, from clinicians and stakeholders to industry influencers and opinion leaders, this was unmistakably the event to witness the future direction of dentistry.

The highlight of the evening was a preview of the Seethrough digital ecosystem in action. Guests saw first-hand how Seethrough Flex CBCT integrates seamlessly with the new Implantmed Plus II, creating a streamlined pathway from diagnosis through to treatment, resulting in reduced risk of error, enhanced precisions and a genuinely connected clinical workflow.

Opening the event, Jon Bryant, Managing Director of W&H UK, captured the energy in the room. Speaking about the launch, he shared: “This new product range was designed by W&H to deliver smarter, more intuitive integration, producing clarity, control and confidence within the clinical team.”

The message was clear: this is not simply a new product launch; it marks W&H’s confident expansion into a new era of digital dental technology.

First to speak was Dr Vivak Shah, Principal Dentist of Saving Smiles Weedon, the first UK adopter of Seethrough Flex, who delivered a compelling account of implementation and how this product had returned control back to his practice, increased communication with patients, and simplified the message when running

through the process of dental implants and orthodontic planning, thereby gaining trust and conversion. Although initially cautious about the benefits of the investment, Dr Shah described how, within just nine months, the system has seen a positive ROI.

Dr Shah also highlighted the impressive features of the new CBCT and how it has positively benefited his daily workflow, aiding him in further building his practice.

Next up was Dr Aly Virani to provide a fascinating insight into how the W&H range has been developed to provide a synergistic digital solution using the ioDent platform, which connects from diagnosis, through treatment, and to implantation. He was particularly excited by the Implantmed Plus II Scan Edition and the benefits it provides when creating a digital implant passport through ioDent.

In his opinion, this joined-up approach eliminates fragmented digital workflows, improving systems and facilitating highquality treatment protocols from start to finish, while alleviating unnecessary pressures in everyday practice.

These presentations, alongside a talk from the W&H Product Specialist James Heard, showed how W&H’s digital dentistry offering promises efficiency, precision and improved outcomes. Closing comments argued that multiple software platforms, disconnected imaging systems, and time-consuming workflows that require repeated logins, duplicated data entry and workarounds, are surely relegated to the past.

The recurring theme throughout the evening was not simply technological advancement but meaningful connection. The profession does not suffer from a lack of technology. It suffers from a lack of integration.

As practices adopt more digital tools, the challenge has shifted from selecting the right technology to ensuring that systems work together intuitively. When integration fails, advanced tools can become burdens rather than assets.

Seethrough has been designed differently:

• Intuitive workflows aligned to real clinical practice

• Reduced training time and faster team adoption

• Lower risk of error

• Improved delegation across teams

• Immediate access to scans and planning tools where and when needed

The emphasis is usability, clarity, and realworld application, not complexity.

When digital systems are connected and intuitive, the impact extends far beyond efficiency. Clinicians gain time. Teams communicate more clearly. Planning feels controlled. The working environment becomes calmer and more confident.

Modern imaging platforms are evolving. They are no longer designed to operate in isolation, but to sit within broader, connected ecosystems, a principle successfully adopted by leading technology companies outside dentistry.

W&H’s Seethrough solutions reflect this shift, prioritising clarity, flexibility, and seamless integration over fragmented complexity.

As digital dentistry becomes embedded in everyday care, expectations are rising. Technology is no longer judged solely on what it can do but on how effectively it supports clinicians in doing their jobs better.

From the bespoke colour-matched launch cocktail to personalised Seethrough Eye Art, meticulous attention to detail underscored the significance of the occasion. The atmosphere throughout the evening was electric, a palpable sense that something meaningful had shifted.

Guests described the event as:

– “Completely different from the usual dental events, buzzing with energy.”

– “Top notch. Exciting times for W&H.”

– “Fresh, forward-thinking, and inspiring.”

– “A great evening of innovation, conversation, and collaboration.”

– “Insightful, engaging, and exceptionally well organised.”

W&H’s perspective is bold and unmistakable: the future of digital dentistry will be shaped by connection.

Systems that integrate seamlessly reduce friction and support clear clinical pathways will define the next phase of professional evolution. For clinicians, that means fewer workarounds, clearer workflows, and more time to focus on patient care, not managing technology.

If this launch demonstrated anything, it is that W&H intends to be at the forefront of this movement.

For those ready to take a clearer view of the future of dentistry, Seethrough is not just a product it is a paradigm shift in mindset.

To explore how integrated imaging and connected digital workflows can transform your practice, visit www.wh.com n

Dr vivak shah
Dr Aly virani

Master Immediate Implant Placement

with Dr. Abdelsalam Elaskary B.D.S. founder of Vestibular Socket Therapy

An evidence-based technique that enables immediate implant placement in extraction sockets with extensive labial bone loss-even in the presence of active infection. CPD: 9 hours Learning Outcome C

Date: Friday 8th & 9th May 2026

Venue: Leonardo Royal Hotel London City, 8-14 Cooper’s Row, London EC3N 2BQ

Managing complaints with confidence

Lisa Bainham shares how dental teams can prevent, manage and learn from patient complaints, and why mindset, communication and preparation are key

to handling them well

Patient complaints are something all practices encounter, regardless of size or how well they are run. Individuals are increasingly aware of their rights, from the GDC complaints initiative to the role of the CQC and the ombudsman, and complaints are becoming more common.

For Lisa Bainham, the key shift is not about trying to eliminate complaints entirely, but about changing how teams view them. Instead of being something practices dread, complaints should be managed calmly and fairly using strong communication skills. It is not about winning the argument, but about handling concerns positively and efficiently.

Data from the Dental Complaints Service shows that the most common triggers involve fees, treatment outcomes and communication.

However, Lisa notes that teams frequently underestimate one crucial factor: complaint management itself. In many cases, the original issue becomes secondary to dissatisfaction with how the situation was handled.

Listening prevents escalation

A patient may raise a concern that is justified or not, but if the response sounds defensive or dismissive to them, the situation can quickly deteriorate. Practices can also take complaints too personally, making it harder to respond effectively. Lisa emphasises the importance of responding rather than reacting.

Preparation is vital, with teams ready to handle the first mention of a complaint calmly and in a structured way. Ensuring patients feel heard and reassuring them that their concerns will be addressed positively is key to preventing escalation.

She also cautions against trying to resolve complaints on the spot. The familiar ‘I want to speak to the manager’ moment often occurs when emotions are high and the team is responding without full information. Front desk discussions, particularly in a busy waiting room, rarely lead to positive outcomes. Instead, patients should be reassured that their concerns will be looked into properly and that the practice will follow up once the situation has been reviewed.

Lisa will be speaking at the British Dental Conference & Dentistry show Birmingham this May, where she will deliver Professional, proactive, prepared: mastering complaint management in 2026, alongside additional talks focused on complaint handling, team confidence and effective communication.

visit birmingham.dentistryshow.co.uk for further information and to register for free.

Communication is everything

Communication sits at the heart of complaint prevention and resolution. The words used, along with tone and timing, can trigger strong reactions in patients. Lisa describes emotional intelligence, including empathy, self-awareness and rapport building, as ‘superpowers’ when managing complaints.

Empathy, however, must be applied carefully. It is possible to acknowledge that a patient is upset and apologise for their experience without accepting blame. Recognising dissatisfaction is not a weakness, but an essential part of effective complaint handling.

Supporting the dental professional involved in a complaint is equally important. Complaints can be highly stressful and often feel unfair. Having a confident team member managing the process can provide reassurance and reduce anxiety for clinicians.

From fear to learning

Every complaint can be managed, but every complaint can also be mismanaged. Lisa stresses the importance of clear team protocols, so everyone understands who manages complaints and what steps are taken from the moment one is received.

Removing emotion from the process helps to prevent unnecessary escalation, particularly as many

patients simply want to feel heard rather than pursue formal action.

Team confidence training plays a vital role in enabling staff to respond calmly and consistently.

Complaint data should also be viewed as a valuable learning tool rather than something to fear. Lisa encourages practices to use audits, patient reviews and team discussions as a ‘looking glass’ to identify patterns, understand how situations arose and agree practical changes to prevent recurrence. Lisa describes this as a continuous process, much like compliance itself.

Written responses are another area where practices can improve. Generic phrases can feel insincere, whereas genuine, empathetic language helps patients feel acknowledged and reassured. Lisa encourages clear, authentic wording, for example: ‘I am genuinely sad to hear that your experience wasn’t as expected,’ alongside explaining that the situation will be investigated and confirming when a full response will be provided.

Ultimately, Lisa believes the biggest shift practices can make is a mindset change. Complaints should not be dreaded. With preparation, emotional intelligence and strong communication, they can be managed confidently and used to strengthen both patient relationships and team confidence. n

Lisa Bainham is Chairperson of the Association of Dental Administrators and Managers (ADAM) and a dental compliance and practice management expert. she supports practices across the UK with complaint handling, regulatory processes and team confidence training, and is widely recognised for her practical, real-world approach to helping dental teams manage challenging situations calmly and professionally.

Shape the future of dentistry

The British Dental Conference & Dentistry Show is the event where over 10,000 dental professionals meet to shape the future of dentistry. With 400+ exhibitors, 11 theatres, 200+ expert speakers and 150+ hours of free Enhanced CPD, this is the place to unite with your dental community. Embrace new ideas, explore the innovations of tomorrow and take your practice to the next level.

Transforming behaviours: Supporting change and habit formation

TePe is delighted to bring you this article, with the aim of supporting the ongoing Enhanced CPD needs of dental healthcare professionals in improving and maintaining the oral health of their patients

Aims

This article highlights the importance of interdental cleaning as part of a patients daily oral hygiene routine

Learning objectives:

• To review the importance of plaque removal, especially among high risk groups

• To understand the Transtheoretical Model and how it impacts behaviour change

• To be able to apply behaviour change techniques with the recommendation of specific oral hygiene devices that support patients in their journey

Learning Outcome: A, D

Excellent oral hygiene is the foundation of health for everyone, regardless of age, gender, background, beliefs, or any other factors. While the majority of the population knows this, not everyone is actively participating in an effective oral hygiene routine. In particular, a spotlight is on mechanical removal of plaque at home. Dental plaque is central to the pathogenesis of periodontitis, emphasising the need to prevent colonisation in the oral cavity and the formation of a biofilm on the teeth and gingiva. Effective plaque control and regular professional intervention are both crucial to ensuring that patients protect their mouths from periodontal disease. The literature shows that success is only achieved when effective oral hygiene instruction and ongoing communication are available to patients. ii Individuals need to understand how oral hygiene works and how it impacts their broader health, as well as build confidence in their ability to optimise outcomes. This is especially important when considering high-risk groups, such as those with systemic conditions, iii those undergoing orthodontic treatment, iv or smokers. v Many people in these situations face a much higher risk of periodontal complications, elevating the impact of oral hygiene. Diabetic individuals with poor glycaemic control, for instance, have up to an 86% higher chance of developing periodontitis than those without the condition or with well-controlled diabetes. vi In addition to educating patients on the risks, dental professionals must also help them recognise the need for, and then implement, changes to their daily routines. This requires behaviour change techniques that facilitate the formation of new habits.

Stages of change

There are several models that demonstrate the process of behaviour change that may be of use. Among

them is the Transtheoretical Model (TTM), vii which proposes six stages of change.

Precontemplation

At the very start of this journey, patients are not yet ready to make changes. This represents the initial recognition of a problem or unfavourable oral health outcome, as well as the possible need to address it. This might describe a patient who shows early signs of gingivitis, and –after seeing blood when they brush – acknowledges that something is wrong and that they should do something about it.

Contemplation

The next step in the process is for the patient to engage further and perhaps do some research about gingival disease, its causes, and its implications. They may conduct an online search or ask their dental team for more information. While they are not ready to take action, they are better informed and taking their condition more seriously.

Preparation

As the patient improves their understanding of their oral health status, an enhanced appreciation for enhanced oral hygiene will be brought

to the fore. They will make a plan of what they need to do in order to change the trajectory of their gingivitis, whether that involves booking a dental hygiene appointment, revisiting the dentist, or changing their at-home oral hygiene routine in some way. They will be motivated and genuinely ready to change.

Action

The result is action. They attend the dental hygiene appointment, they fulfil their recall with the dentist, or they purchase an interdental brush and start using it every day. This is a very positive step in the stages of change, but it’s only the beginning. True habit formation takes time and repetition, so it’s crucial that any actions taken are simple to implement, repeatable, and affordable. This will help to maintain momentum and keep the patient engaged. Encouragement from the dental team that highlights progress made will go a long way to preserve motivation.

Maintenance

When patients continue performing these actions, this same professional support will help them to maintain the behaviour over time. The focus shifts to preventing relapse, offering

advice to overcome common challenges in order to avoid sliding back to old habits.

Termination

The final stage of the TTM is considered the end of the behaviour change process – the new actions have become routine, forming daily habits and no longer requiring additional time, effort, or thought to complete. Full efficacy is achieved by patients fulfilling all recommendations from their dental hygienist or dentist, or by performing interdental cleaning every single day. A change in behaviour has been successfully completed.

Successful application in dentistry

Despite som e critique of the TTM due to difficulty in defining and categorising individuals according to specific stages in the process, viii it remains one of the most commonly used models of behaviour change across various industries and fields of study, including healthcare. ix Its effectiveness has been proven in many different scenarios, demonstrating an opportunity for its successful application in dentistry. Consequently, it offers a useful tool for dental practitioners to add to their armamentarium, especially when supporting patients in highrisk groups for periodontal health. Helping these individuals to introduce small but mighty changes to their oral hygiene routines could have a significant impact on their long-term oral and systemic wellbeing.

To achieve the best results, it’s important to support self-

CPD Questions

CPD Questions

1. The article suggests that effective plaque control at home is only achieved with what?

a) Oral hygiene instruction

b) Strawberry flavoured toothpaste

c) A daily chart

d) Large bathrooms

2. Which patient groups are at a higher risk of periodontal disease if plaque control is not effectively maintained?

a) Those with systemic conditions

b) Those undergoing orthodontic treatment

c) Smokers

d) All of the above

3. Diabetic individuals with poor glycaemic control are at greater risk of periodontitis by how much compared to those without diabetes or good glycaemic control?

a) 46%

b) 66%

c) 86%

d) Unknown

4. How many stages of change does the Transtheoretical Model (TTM) propose?

a) 4

b) 5

c) 6

d) 7

5. The termination stage of the TTM describes when patients do what?

a) Stop researching how they can enhance their oral hygiene

b) Start making a plan to introduce a change

c) Stop performing the new action

d) Reach full efficacy with the change and it becomes habit

6. What can help patients implement and maintain a change to their oral hygiene, encouraging the formation of a new habit?

a) Encouragement from the dental team

b) Building self-efficacy

c) Use of effective yet simple tools

d) All of the above

efficacy in patients, encouraging them to take responsibility and implement genuine changes that will positively influence their wellbeing. x

It is also necessary to make the initial change seem as quick and simple as possible, reducing at least some of the potential barriers to change for many people. This often relies on easy-to-use tools and straightforward actions that can be performed with little extra time or effort. Patients who need to introduce daily interdental cleaning, for example, will benefit from discovering the TePe EasyFit™ interdental brushes, designed specifically for those new to the habit. They facilitate efficient plaque removal in a gentle and unintimidating way.

The conical shaped brush is available in various sizes to suit all interdental spaces and the soft bristles optimise comfort to encourage continued use.

Sustainable improvements

Plaque control is vital for preventing periodontal disease and maintaining oral hygiene. For patients to enhance their daily routines and make meaningful changes to their habits, behaviour change models like the TTM may prove useful for dental professionals guiding their journey. With the right support, more individuals will enjoy sustained oral heath improvements.

For more information on the innovative new products available from TePe, please visit www.tepedirect.com n References available upon request

Smarter, Faster, Better: The Power of In-House Aligner Production

DB Orthodontics is delighted to bring you this article, with the aim of supporting the ongoing Enhanced CPD needs of dental healthcare professionals in improving and maintaining the oral health of their patients

This CPD activity supports the development of clinical knowledge and skills in orthodontic treatment planning and appliance design, enabling clinicians to evaluate and implement in-house aligner thermoforming systems safely and effectively. It also promotes an enhanced patient experience, and effective use of the dental team within digital orthodontic workflows.

Aims

• To highlight the benefits and advantages of in house aligner fabrication.

• To provide a greater understanding of the key components involved in launching in house aligner production.

• To demonstrate the clinical and patient centred advantages of clinician led aligner planning and manufacture.

Learning objectives:

• Identify the key considerations when deciding whether to bring aligner production in house.

• Understand how in house aligner production differs from mainstream aligner companies.

• Recognise the steps required to set up in house aligner fabrication.

• Appreciate the clinical benefits, limitations and potential pitfalls of in house thermoforming

Learning Outcome: C

1 – Adult alignment

Introduction

The demand for clear aligner treatment continues to grow, driven by patient expectations around aesthetics, comfort and convenience. Alongside this, many orthodontists are re evaluating the traditional reliance on mainstream aligner companies and exploring the clinical, financial and professional benefits of bringing aligner fabrication in house.

This CPD article, sponsored by DB Orthodontics, explores effective in house thermoforming using Iconic Align materials. It outlines the rationale for moving away from outsourced aligner systems, highlights the key components required to successfully launch in house aligner production, and provides practical insight into benefits, limitations and real clinical applications.

The

rationale for bringing aligners

in house

While outsourced aligner systems offer convenience, many orthodontists may experience recurring elements that ultimately limit clinical control.

Treatment planning and responsibility

As the prescribing orthodontist, you ultimately carry responsibility for the outcomes achieved with outsourced aligner systems. Treatment planning is frequently carried out by an unknown technician. Even when providers state that cases are reviewed by specialists, there is no guarantee of consistency, expertise or training level. Clinicians are often effectively working blind,

despite remaining fully responsible for the prescribed treatment. In house systems allow you to plan cases yourself, applying your own expertise to staging, biomechanics and attachment design.

Turnaround times and logistics

Outsourced aligners often involve long lead times, particularly when appliances are manufactured overseas. Delays related to shipping, remakes or refinements can disrupt treatment flow and patient satisfaction.

Cost escalation and restrictions

Many mainstream systems charge for a treatment package, which often come with restrictions on permitted tooth movement, number of

refinements, and treatment length. Charges are usually applied at the time of ordering, so if the patient doesn’t get on with the aligners, or if there is a change in treatment goals, the hefty lab fee will be lost.

Limitations to Aligner Design

Clinicians are also bound by predefined treatment protocols, which can restrict tooth movements, attachment designs and material selection. In addition, clinicians typically have little or no control over how aligners are trimmed or finished, despite the impact this can have on comfort, retention and force delivery.

Making the decision to go in

house

Transitioning to in house aligner production does require investment. Key considerations include initial financial outlay for equipment and software, allocating physical space within the practice or laboratory, training and allocating staff time, and establishing reliable workflows. However, for many practices, these challenges are offset by increased clinical freedom, faster turnaround times and significant long term cost savings.

Case
Pre-treatment Anterior
Pre-treatment

ECPD: DB ORTHODONTICS

Setting up in house aligner production: Core components

Successful in house thermoforming relies on the integration of digital workflows:

• Intraoral scanner

• Planning and staging software for aligner design (e.g. 3Shape, Orthup, Onyxceph)

• 3D printing systems for model production

• Thermoforming equipment

• High quality aligner materials, such as Iconic Align

While digital systems can occasionally be prone to glitches, continued advances in software are rapidly improving user experience and reliability.

Clinical benefits of in house aligners

Complete clinical control

One of the greatest advantages of in-house production is total control over treatment planning. Clinicians can stage tooth movements without restrictions, tailor the design and place attachments according to each individual patient, adjust trim lines to optimise comfort and retention, and select aligner material thickness and properties. This freedom allows orthodontists to deliver treatment aligned precisely with their own clinical philosophy.

Speed and efficiency

In house aligners can be designed, printed and thermoformed with turnaround times as short as 1.5–2 hours. This eliminates delays associated with shipping and enables rapid refinements or replacements when needed.

Brought to you by

Cost savings and accessibility

Producing aligners in house can reduce treatment costs dramatically - often allowing fees to be reduced by up to 50%. This makes aligner therapy more accessible for patients, particularly for minor relapse cases and short term alignment

Choosing the right aligner material

Material selection is critical to clinical success. Key factors include thickness, which influences force delivery and comfort, type of plastic, which impacts flexibility, durability and aesthetics, and trim line design, which affects retention, aesthetics and gingival comfort.

Iconic Align is a premium aligner material designed to maintain a light, consistent force throughout treatment. Its engineered flexibility maximises tooth-aligner contact, supporting efficient force delivery and high levels of patient comfort. The material is resistant to heat deformation, resulting in minimal force loss over time and more predictable tracking of tooth movement. It also delivers excellent aesthetics, making it well suited to truly invisible aligner therapy. In addition, Iconic Align is easy to thermoform and finish, helping to streamline workflows and reduce production time in the in-house setting.

Creating a bespoke, branded solution

In house production allows practices to put their own stamp on aligner therapy. From custom branding - such as Neyo Dental’s bespoke aligners - to tailored treatment plans, clinicians can deliver a truly personalised product.

In house aligners can also be easily combined with other orthodontic appliances, including transpalatal arches, temporary anchorage devices (TADs), and fixed appliances where required. This hybrid approach enables innovation and flexibility throughout treatment.

Expanding clinical possibilities

In house aligners are not limited to simple cases. With full control over design and staging, clinicians can:

• Tweak aligners mid treatment

• Adapt mechanics as the case evolves

• Transition easier between aligners and fixed appliances

Aligners can even be modified to fabricate mandibular advancement blocks or twin block style appliances, expanding their use into functional orthodontics.

Pitfalls and limitations

Despite the advantages, in house aligner production is not for everyone. It is more time consuming than outsourcing and therefore requires a genuine passion for orthodontics. Additionally, its success will depends your team to be reliable, and well trained. A committed team often develops a strong sense of pride and ownership over in house systems.

While nurses can support scanning and printing, generally the technical aspects of aligner fabrication are often better suited to experienced laboratory technicians.

Case studies

Case 1 (see panel) – Adult alignment: A 50-year-old female with mild to moderate upper and lower crowding was efficiently treated in 7 months using in-house aligners - no attachments or IPR required.

Case 2 (see panel) – Functional correction: A 16-year-old male with Class II Division 2, deep bite, and arch crowding/spacing was treated with Neyo Pro in-house aligners with mandibular advancement blocks for 10 months, followed by 6 months of fixed appliances for final detailing.

CPD Questions

CPD Questions

1. According to the article, what are three primary advantages of moving aligner production in-house?

a) Slower turnaround times, lower initial equipment costs, and outsourced planning.

b) Reliance on unknown technicians, restricted tooth movements, and fixed lab fees.

c) Complete clinical control, faster turnaround times, and significant cost savings.

d) Elimination of the need for an intraoral scanner or 3D printer.

2. What is identified as a common limitation when using mainstream, outsourced aligner systems?

a) The turn-around times are too fast for clinicians to review cases.

b) Treatment planning is frequently carried out by unknown technicians, leaving the clinician “working blind”.

c) Clinicians have too much control over the thickness and trimming of the material.

d) There are no restrictions on the number of refinements allowed per case.

3. Which factors are cited as critical when selecting a high-quality aligner material?

a) Only the colour of the plastic and the shipping weight.

b) Thickness and type of plastic.

c) The age of the patient and the location of the practice.

d) Whether the material can be used without an intraoral scanner.

4. Why is in-house production particularly beneficial for complex or “hybrid” orthodontic cases?

a) It allows aligners to be easily combined with other appliances like TADs or modified for functional blocks.

b) It is only suitable for simple alignment and minor relapse.

c) It eliminates the need for any clinical staging or attachment design.

d) It is the only way to treat patients who have never worn braces before.

Conclusion

In house thermoforming with Iconic Align offers orthodontists unparalleled control, flexibility and efficiency. While it requires commitment, investment and passion, the rewards include enhanced clinical outcomes, reduced costs and the freedom to truly tailor treatment to each patient.

For orthodontists who enjoy planning, staging and innovation, in house aligners represent not just an alternative - but a powerful evolution in modern orthodontic practice. n

The views expressed in this article are those of Dr Neil Woodhouse. He is collaborating with DB Orthodontics to promote best practice in in-house clear aligner thermoforming for dental teams, supporting the delivery of high-quality, efficient patient care and robust clinical protocols.

Scan the QR code to discover Iconic thermoforming materials by DB Orthodonticsprecision-engineered performance trusted by technicians, clinicians, and patients worldwide.

About the author

Dr Neil Woodhouse is a specialist orthodontist dedicated to delivering exceptional clinical results while making the teeth straightening journey as straightforward and enjoyable as possible for his patients. After providing aligners for over a decade, he developed in-house aligner system, Neyo Pro Align, enabling a highly bespoke approach to aligner therapy and the treatment of complex cases not typically suitable for mainstream systems. Neil has extensive experience across a wide range of orthodontic appliances, including fixed metal and ceramic braces, functional appliances and temporary anchorage devices, allowing him to tailor treatment precisely to each patient’s needs. Having trained at Guy’s Hospital, London, and practised internationally, Neil brings a depth of expertise, innovation and enthusiasm to both clinical practice and orthodontic education.

Pre-treatment buccal view
Buccal view showing aligners with mandibular advancement blocks
Post-treatment buccal view

Digitally controlled, intraosseous dental anesthesia with QuickSleeper

Swallow is delighted to bring you this article, with the aim of supporting the ongoing Enhanced CPD needs of dental healthcare professionals in improving and maintaining the oral health of their patients

Aims

To enhance the clinician’s understanding of intraosseous anaesthesia as a predictable, efficient and patient-centred alternative to traditional local anaesthetic techniques, and to explore its clinical, practical and business advantages in modern dental practice.

Learning objectives:

• Identify the limitations and clinical challenges associated with traditional local anaesthetic techniques, including delayed onset, incomplete pulpal anaesthesia and soft tissue side effects.

• Explain the principles of intraosseous anaesthesia, including the benefits of depositing anaesthetic solution directly into cancellous bone.

• Describe how modern intraosseous delivery systems improve patient comfort, safety and reliability compared with historical techniques.

• Evaluate the potential impact of adopting intraosseous anaesthesia on clinical efficiency, patient experience and overall practice workflow.

Learning Outcome: C

Dentistry is practiced across the globe, and in every country, there are distinct cultural influences and ethnic variations that make life particularly engaging for a dentist who travels and teaches internationally. Attitudes towards anaesthesia, the way it is administered, and how it is charged for can differ significantly, not only from continent to continent but also from one country to the next. Despite regional differences, there is one important similarity among patients worldwide: they are all human beings. As such, dentists everywhere face the same fundamental challenge of delivering a comfortable, pain-free dental experience to their patients.

Wherever I have travelled, dentists describe the same frustrations and challenges in delivering effective dental anaesthesia. These include managing the “hot tooth,” achieving profound anaesthesia in mandibular molars, and coping with the time required for traditional techniques to take effect, often resulting in wasted surgery time. They also highlight the unwanted side effects of soft tissue anaesthesia, such as lip and tongue numbness, and the genuine tension and stress that arise when anaesthesia is incomplete and a patient experiences pain during treatment. Such situations can strain the relationship between dentist and patient and may also negatively impact the reputation of the practice.

A personal turning point

Over the course of my 35 years in practice, I have studied and utilised a wide range of traditional local anaesthetic techniques and products. However, nothing has had such a profound and

positive impact on my professional life as adopting intraosseous anaesthesia approximately eleven years ago. By introducing intraosseous anaesthesia as a standard, routine technique in my practice, I have been able to address all the challenges mentioned above. My patients have been genuinely impressed by the comfort of the procedure, both in the administration of the anaesthetic and in the depth, reliability and completeness of the anaesthetic effect itself.

I have been equally impressed by their reactions and by the simplicity with which such an effective result can be achieved. The speed of onset allows me to proceed with treatment almost immediately, and the consistent reliability of the technique has transformed the clinical experience. As a result, dental treatment has become predictable and virtually stress-free for my patients, my dental team and for me.

Limitations of traditional anaesthetic techniques

Traditional dental anaesthetic techniques carry a number of disadvantages that both dentists and patients have accepted for many years. These include the delay between administration and the onset of effective anaesthesia that allows treatment to begin, as well as prolonged residual numbness of the face. In many cases, there is also a noticeable loss of motor function, leading to drooping lips, altered speech, difficulty eating and drinking, and, particularly in children, the risk of lip and tongue chewing. From a business perspective, time is one of the most valuable assets in any dental practice. The cumulative time spent waiting for anaesthesia to become sufficiently profound to commence treatment can result in a significant loss of productivity. This inefficiency is not only frustrating but can also be extremely costly.

Intraosseous anaesthesia:

A technique with history

Intraosseous anaesthesia is not a new concept. It was first described in the dental literature in 1906 by Dr R. Nogué in France and has traditionally been used as a “last resort” technique when conventional methods of anaesthetic delivery have failed.

Historically, the clinical delivery of intraosseous anaesthesia could be somewhat traumatic. A high-torque drill was used to penetrate the cortical plate of the alveolar bone, after which a conventional syringe and needle were inserted manually to introduce anaesthetic solution into the cancellous bone. Drilling into bone perpendicular to the long axis of the teeth carries the inherent risk of contacting a tooth root, particularly as the patient’s altered sensory perception may prevent them from alerting the clinician to the problem.

In addition, locating the original osteotomy site with a manual needle could require multiple attempts, potentially causing soft tissue trauma. The manual pressure needed to deposit the anaesthetic solution might also create excessive intraosseous pressure, leading to prolonged ischaemia and, in rare cases, regional necrosis. While such complications are uncommon, the risks have always been present.

Modern intraosseous delivery with QuickSleeper

Intraosseous anaesthesia delivered with QuickSleeper addresses these potential adverse outcomes in a controlled and refined manner. A specially designed needle, Effitec, is first used to achieve painless anaesthesia of the mucosa and periosteum at the intended site of bone contact. Using the same needle, the device is then reoriented to establish gentle contact with the alveolar cortical plate. The needle rotates intermittently and, with minimal pressure, advances smoothly and comfortably through the cortical plate into the cancellous bone.

Once the appropriate depth is reached, the device delivers the anaesthetic solution directly into the bone. The pressure of delivery is continuously monitored by integrated sensors, ensuring controlled intraosseous diffusion. The anaesthetic effect is immediate, with all nerve fibres within the dental alveolar complex being effectively anaesthetised, including accessory fibres that are often responsible for the failure of inferior dental nerve blocks. Importantly, no supplementary injection on the contralateral side of the alveolus is required. The intraosseous solution diffuses through the cortical plates, providing effective anaesthesia of the surrounding periosteum and attached gingival tissues on both sides of the teeth. Depending on the volume administered, multiple teeth can be treated or extracted immediately. Remarkably, patients experience no residual facial soft tissue numbness and

no loss of motor function. They are able to return directly to work, speak normally, and eat or drink, including hot beverages, immediately after treatment. This means that bilateral mandibular treatments can be delivered in the same appointment, further optimising efficiency by negating the need for a costly second visit.

Education and clinical training

At present, intraosseous anaesthesia is not routinely taught at undergraduate or postgraduate level as part of the core dental curriculum.

The Dentalhitec Academy (DHTA) remains the only dedicated institution worldwide providing structured theoretical, practical and clinical training in the delivery of intraosseous anaesthesia.

The training programme begins with a comprehensive introduction to the theory of intraosseous anaesthesia, followed by structured table-top instruction that familiarises delegates with the QuickSleeper device. This is complemented by live clinical demonstration of the technique and, importantly, the opportunity for participants to give and receive painless intraosseous anaesthesia themselves.

For clinicians who are already incorporating the technique into daily practice, an optional advanced Masterclass is available. This course is designed to expand clinical confidence and enable practitioners to integrate QuickSleeper into the full spectrum of their routine local anaesthetic procedures.

From basic training to mastery

The Basic Training programme enables delegates to introduce intraosseous anaesthesia as a routine technique within their own practices. The theoretical component includes the history of the method, first described in the literature in 1906, together with an in-depth discussion of the common frustrations associated with traditional anaesthetic techniques, why these problems occur, and how depositing anaesthetic solution directly into cancellous bone effectively avoids them.

Clear explanation and demonstration of the equipment show precisely how and why the technique can be entirely painless when simple, well-defined

ECPD: SWALLOW DENTAL SUPPLIES

About the author Dr Andrew Prynne BDS, International Lecturer and Clinical Trainer in Intraosseous Anaesthesia Brought

CPD Questions

CPD Questions

1. Which of the following is a commonly reported limitation of traditional dental local anaesthetic techniques?

a) Immediate onset of profound pulpal anaesthesia

b) Absence of soft tissue numbness

c) Delayed onset before treatment can begin

d) Elimination of accessory nerve fibres

2. One of the primary clinical advantages of intraosseous anaesthesia is:

a) Routine bilateral inferior dental nerve block

b) Immediate anaesthetic effect within the dental alveolar complex

c) Increased duration of facial soft tissue numbness

d) Requirement for supplementary contralateral injections

3. Historically, intraosseous anaesthesia was often reserved for use when:

a) Treating paediatric patients only

b) Performing cosmetic procedures

c) Traditional anaesthetic techniques had failed

d) General anaesthesia was contraindicated

4. From a practice management perspective, intraosseous anaesthesia may improve efficiency by:

a) Increasing post-operative recovery time

b) Reducing the need for rubber dam isolation

c) Requiring additional appointments for completion of treatment

d) Enabling bilateral mandibular treatments in the same visit

clinical protocols are followed. The trainer provides a live clinical demonstration, after which each delegate both administers and receives an intraosseous anaesthetic under close supervision. This often proves to be a remarkable experience. During a recent training session in London, a group of endodontists were keen to test the efficacy of the technique for themselves. After administering a completely painless intraosseous injection using just one quarter of a carpule, they assessed pulpal response in adjacent teeth with Endo-Frost. To their surprise, four

teeth, two on either side of the injection site, were fully anaesthetised. Their enthusiasm was immediate and they placed an order for the system without hesitation.

The Masterclass is designed for clinicians who have been using the technique in practice for approximately two to three months. At this stage, they are ideally positioned to expand their application of the system to all areas of the mouth. These advanced protocols enable delegates to carry out the full range of local anaesthetic procedures exclusively with the QuickSleeper device. Following the advanced theoretical component, emphasis is placed on refining clinical protocol, including operator positioning, chairside ergonomics and complete control of the device. Delegates leave the Masterclass confident in their ability to deliver immediate, pain-free and stress-free dental treatment consistently and predictably.

The DHTA continues to provide ongoing support through online resources and direct guidance from its international team of trainers. This ensures that both new and experienced users have the confidence to apply the technique successfully in almost all clinical situations.

It is now time to move beyond inferior dental nerve blocks and traditional syringes, and to join the growing number of clinicians providing efficient, effective, profound and immediate anaesthesia through the routine use of intraosseous techniques. n

Innovative new technique optimises immediate implant outcomes in compromised sockets

dr adbelsalam elaskary presents a case to demonstrate a novel surgical technique developed to overcome the challenges of treating the compromised extraction socket with immediate implant protocols.

Fig 1. Facial view of two central incisors with failed restorations

Fig 2. Failed restorations were removed to reveal roots of a hopeless prognosis

Fig 3a. Preoperative sagittal view of the CBCT scan showing the absence of the buccal bone

Fig 3b. Preoperative sagittal view of the CBCT scan showing the absence of the buccal bone

Fig 4. Vestibular access incision reveals loss of the buccal bone

Fig 5a. Intraoperative sagittal view of CBCT scan confirming the loss of the buccal bone

Fig 5b. Intraoperative sagittal view of CBCT scan confirming the loss of the buccal bone

Fig 6a. Placement of two Tapered Pro Conical Implants ensuring excellent primary stability

Fig 6b. Placement of two Tapered Pro Conical Implants ensuring excellent primary stability

Fig 7. Implants were totally seated revealing the optimal 3D position and location

Fig 8. The osseous defect was filled with particulated bone graft composed of 50-50 mix of MinerOss X and cortical bone chips

Fig 9. MinerOss flex cortical membrane placed

Fig 10a One week post-surgery showing a reasonable healing outcome with immediate nonfunctional loading being applied

Introduction

Clinicians and researchers are constantly innovating in the field of implantology in order to develop ever-more effective treatment techniques for different patients. Solutions are often created in direct response to clinical challenges or complications that are commonly faced in daily practice.

An evidence-based treatment modality has been developed to treat compromised fresh extraction sockets immediately, without delayed placement protocols, providing successful regenerative and aesthetic results. The technique – Vestibular Socket Therapy (VST) – is particularly effective in most socket conditions (class I, II and III, whether infected or non-infected) and in healed sites with horizontal bone defects. The failing tooth is first extracted atraumatically, and the socket

curetted and rinsed with saline. The VST surgical protocol then requires the following steps:

• Create a vestibular access incision located at the deepest location in the muco-buccal fold to the related socket.

• Create a subperiosteal tunnel connecting the socket and the vestibular access incision. From here, the implant of choice can be placed and stabilised in the apical bone of the related socket, alongside bone augmentation, to ensure aesthetic and functional success. A 6-day protocol of antimicrobial therapy is also indicated where active infection is present in the extraction socket, which may present with a fistula or sinus tract.

This technique is associated with reduced soft tissue changes, supporting papillary height and enhancing aesthetic

Fig 10b One week post-surgery showing a reasonable healing outcome with immediate nonfunctional loading being applied

Fig 11a. Post-restorative CBCT scan showing the amount of bone regenerated around dental implants

Fig 11b. Post-restorative CBCT scan showing the amount of bone regenerated around dental implants

Fig 12. Incisal view of the healed site showing restored buccal contour and papillary height

Fig 13. Facial view of the healed site showing restored buccal contour and papillary height

Fig 14a. Final delivery of screw-retained zirconia crowns

Fig 14b. Final delivery of screw-retained zirconia crowns

Fig 15a. Radiographic image of regenerated bone two years post vestibular socket surgery

Fig 15b. Radiographic image of regenerated bone two years post vestibular socket surgery

Fig 15c. Radiographic image of regenerated bone two years post vestibular socket surgery

Fig 16. 3D reconstruction of the regenerated bone two years post vestibular socket surgery

outcomes. It has also been proven as an effective treatment modality in longterm follow-up research of up to five years. The following case demonstrates the technique in action, placed in a compromised fresh extraction socket without active infection.

Case presentation

A male, 39-year-old patient presented to the practice with two failed central incisors, which had been the subject of repeatedly failing restorative procedures. The patient sought a permanent solution that would restore function and aesthetics to his central incisors.

a ssessment

The patient’s medical history demonstrated he was free from any systemic health concerns, and was generally fit and healthy, and a non-

smoker. A comprehensive clinical assessment followed, which showed excellent oral hygiene and healthy gingivae. The CT scan taken of the anterior region revealed a significant loss of the buccal plate. All potential treatment options were discussed with the patient, including his preferred option of implant placement and crowns. Due to the lack of buccal plate and the drawbacks caused by treatment delay until this point, bone augmentation was indicated to ensure primary stability and long-term survival of the implants.

treatment planning

Following classic treatment protocols, this case would have required delayed implant placement. This could have led to serious aesthetic defects, such as the significant loss of the papillae, post-restorative recession, and scar tissue formation.

However, the author has pioneered a new technique for such clinical situations that overcomes these challenges. VST allows the perfect restoration of the socket in just eight weeks.

The novel approach supports immediate implant placement with a vestibular incision and cortical bone shield stabilisation, alongside bone augmentation with a particulate bone grafting material. Treatment is complete with a customised healing abutment, enabling the clinicians to provide the entire workflow in a single visit and with a single surgery.

All the benefits, risks and limitations were explained to patient in detail to obtain informed consent. The importance of ongoing oral hygiene for implant longevity was impressed upon the patient at the same time.

treatment delivery

Upon his return to the practice, the patient was numbed with appropriate anaesthesia. The failed restorations were removed to reveal the existing tooth roots, which now had a hopeless prognosis after several failed attempts at restoration.

The vestibular access incision was made as per the VST protocol, providing clear visualisation of substantial buccal bone defect. This was confirmed by an intraoperative CBCT scan, ensuring the clinician had comprehensive knowledge of the exact anatomy.

Two 3.8 x 15mm Tapered Pro Conical implants (BioHorizons) were placed. These implants feature a LaserLok ® /RBT surface, which supports connective tissue attachment and crestal bone volume. They also ensure excellent primary stability, which is crucial in immediate cases. The implants were fully seated, confirming their optimal 3D positioning.

To further promote stability and longevity of treatment, the osseous defect was filled with particulate bone graft, which contained a 50:50 mix of MinerOss® X cancellous particles (BioHorizons) and autogenous cortical bone chips. This combination was chosen to provide optimal regeneration of viable bone.

A cortical membrane was customised and placed on top of the grafting material, stabilised with three membrane tacs to the surrounding bone, using the BioHorizons AutoTac system kit.

The site was sutured closed tensionfree and the patient given standard postoperative care instructions to maintain the health of the site for optimal healing.

surgical review

The patient returned to the practice one week post-surgery for review. The site presented a reasonable healing outcome

following the immediate non-functional loading protocol. Upon further review post-healing, the buccal contour and papillary heights were effectively maintained, ensuring sufficient soft tissue support and excellent aesthetics. Treatment was concluded with two screw-retained zirconia crowns fitted on two hexed hybrid base abutments from BioHorizons. These provided a final restoration to the previously defective locations, and a superior aesthetic outcome. Two-year follow-up radiographic and CBCT scans demonstrate the volume of regenerated bone two years achievable when using the VST technique. For product information from BioHorizons, please visit https://theimplanthub.com/ 

References available upon request about the author

Dr Abdelsalam Elaskary is the founder of the Vestibular Socket Therapy, as well as the Elaskary & Associates Clinic and Educational Institute. He is also currently a visiting lecturer at University of New York NYU, and the author of three textbooks in the field of dental Implantology and oral reconstruction, published by John Wiley. In addition, Dr Elaskary is currently the President of the Arab Society of Oral Implantology.

We would highly recommend them. ” Jim and Helen Braden - Braden Dental Care

spark your curiosity with a visit from Plandemo – just like Beeston dental

For busy dental practices, finding the time to explore new technology while managing a full patient schedule can be a challenge. That’s exactly where Planmeca’s mobile showroom makes a difference—bringing the latest digital dentistry solutions right to your door!

As Beeston Dental discovered with their Plandemo appointment “You can look in brochures, but it just doesn’t give you what you need to know whether you’re going to spend your money,” Principal Dentist Chris Navarro explains. Plandemo provides the perfect opportunity for you to explore our full product range at a time and location that suits.

You’ll find a fully functioning dental unit, milling unit and CBCT

machine. Watch a live patient scan and review the detailed 3D images in our latest Romexis 7 dental software. See our latest CAD/CAM technology and chairside dentistry – from scanning to design and milling. Take your first step on the digital dentistry journey by booking a visit with Plandemo, go to www.planmeca.com/plandemo, or call: 02476 994160 and we’ll take care of the rest! n

Plant based cleaning

Bossklein IDactiv offers a 2-in-1 formula that both cleans and disinfects reusable instruments prior to sterilisation with proven performance. The unique concentrated formulation contains plant based, biodegradable ingredients and is free from alcohol, chloride or PHMB. This creates a powerful solution that is not only effective but also safer to use and safer for the environment. IDactiv delivers efficient protection against bacteria, yeast and viruses, including TB while breaking down stubborn debris like plaque and proteins, ensuring instruments are contamination free before sterilisation. Available in 1L, 2.5L and economical 5L containers, this highly concentrated

Help fight seasonal viruses with Initial Medical reliability with r4+

Effective hand hygiene minimises the spread of seasonal flu in your practice

– choose UltraProtect™ Hand Sanitiser from Initial Medical for powerful and longlasting protection.

The solution kills 99.99% of germs, including Norovirus, Swine Flu, and MRSA, and is effective against Coronavirus*. This ensures you can rely upon it for safe support for your patients and colleagues. Without fragrance or perfume added to the product formula, it is also dermatologically approved to prevent dryness and cracking of the skin. This ensures practitioners can continuously use it without irritation.

Effects against bacteria last throughout

For restorations that deliver aesthetics, function, and longevity, look no further than SprintRay Crown HT.

Featuring more than 60% ceramic filler, the material is designed to diffuse light like a natural tooth, making it a truly lifelike solution for definitive crowns, inlays, onlays and veneers. Ensuring strength and durability, Crown HT offers similar mechanical, properties as the surrounding natural teeth. The Midas-exclusive material can be used to print definitive restorations in less than 10 minutes, for predictable and efficient workflows.

It is one of several industry-leading solutions available from SprintRay, each

With “Peer power: Sharing success”, you can hear from respected clinicians such as Dr. Claire Burgess, Dr. Chis O’Connor, and Dr. Akit Patel on how they use the 3M™ RelyX™ Universal Resin Cement and 3M™ Scotchbond™ Universal Plus Adhesive in their workflows.

Used as a pair, clinicians can eliminate the hassle of multiple resin cements, primers and adhesives, and instead rely on a simple but effective combination for direct and indirect procedures. This includes an enhanced bond strength to all dental substrates, for long-lasting outcomes. You can hear thoughts from each clinician online, alongside a whitepaper by Dr. John O. Burgess about the importance of radiopacity in dental adhesives, and

the day, with up to eight hours of hand surface protection.

Choose to place the UltraProtect™ hand sanitiser at frequent touchpoints in your practice today. Contact the Initial Medical team to learn more.

To find out more, get in touch at 0808 304 7411 or visit the website today www. initial.co.uk/medical

*Independent tests show that UltraProtect™ destroys 99.99% of feline coronavirus, a surrogate virus for coronavirus. n

adding value to the restorative workflow for the benefit of professionals and patients alike. To introduce greater speed, efficiency, predictability, and quality into your daily workflow, find out more today.

For more information on the 3D printing solutions available from SprintRay, please visit https://sprintray.com/en-uk/ n

Choose a dental practice management system that is already trusted by thousands of dental professionals with R4+, a Sensei product, from the practice and patient management brand of Carestream Dental.

R4+ is a complete application that is already popular with dental practices across the UK. It enables practice teams to manage their schedules, finances and patient communications in one intuitive and centralised programme.

It offers comprehensive support for clinical workflows, with clinical and periodontal charting for adaptable styles. An easy-to-use patient record system also stores all information within a few clicks, helping clinicians manage their

disinfectant is a cost-effective addition to any practice focused on hygiene excellence, patient safety and the environment.

For more information call 0800 132 373 or visit www.bossklein.com n

entire approach with simplicity.

Springboard provides live, realtime reporting for the performance of the practice, supporting owners and managers in making educated decisions surrounding the future of their practice.

Learn more about R4+ and the upgrades it could provide to your practice by contacting the Carestream Dental team today.

For more information on Sensei visit https://gosensei.co.uk/ n

Quick and clear overview of clinical images

Clark Dental has worked with dental professionals for the last 50 years, and understands the needs and concerns of those working in dentistry every day. The helpful team is able to offer bespoke advice to meet the unique requirements of your practice.

Amongst its offering is the CDR Onepix clinical image management system, that enables clinicians to easily gather their images all in one place. With cloudbased and local versions available, depending on your preferences, each patient examination is logically organised to ensure an efficient workflow and an accessible system.

For more information, please get in touch with the team.

For more information call Clark Dental on 01268 733 146, email info@clarkdental. co.uk or visit www.clarkdental.co.uk n

a collection of 16 clinical cases studies demonstrating their capabilities. For more updates on trends, information and events follow us on Instagram at @solventumdentalUK and @solventumorthodonticsemea

©Solventum 2024. Solventum, the S logo and RelyX are trademarks of Solventum and its affiliates. 3M and Scotchbond are trademarks of 3M company. n

The Association of Dental Implantology (ADI) has a popular programme of Study Clubs to help meet the educational and CPD demands for those with a passion for dental implants.

An exclusive benefit for ADI members, the Study Clubs take place across the UK, from Belfast to Birmingham, North East to South East. Each region hosts up to four sessions per year, with each seeing a reputable expert deliver a two-hour session designed to enhance your implant workflow.

Whether navigating new technologies and the latest advancements, or troubleshooting complex cases, an ADI Study Club is a friendly, open environment

that promotes professional enrichment. They are also a fantastic way of meeting other ADI members, fostering a well-connected network of dental implantologists.

An ADI membership offers a cornucopia of educational benefits, each designed to boost your skills and knowledge for the ultimate patient experience – join today and level up your implant workflow. For more information about the ADI, visit the website. Join today! n

Dr Neil Wilson explains:

“I wasn’t expecting to have as much freedom as I do post-sale – I thought I’d missed something in the small print! However, the promises turned into reality and I have been able to continue making my own decisions.

DeNovo o ers a model that provides a di erent type of exit from business ownership for those who want to continue practising dentistry. More than that, it gives you an extra lease of life. I feel very comfortable with my decision to join DeNovo and would have no hesitation in recommending others consider it also.”

DeNovo Dental Partners are on a mission to transform the UK dental practice sector.

Partner Focused. Culture Driven. Growth Orientated.

upgrade your cBct skills today

Integrating a new clinical imaging system into your workflow doesn’t need to be difficult. The CS 8200 3D Access from Carestream Dental is designed to seamlessly fit into your clinical workflow, and optimised to support clinicians with minimal CBCT experience.

An intuitive and easy to use user interface enables simple exam set up, without compromising the high-quality results that Carestream Dental solutions are renowned for.

The CS 8200 3D Access is built on an open platform, with integration in the CS Imaging Software enabling clinicians to use their leading intraoral scanners without extra expense. This creates clinical imaging partnerships that you are comfortable with, in order to predictably generate effective treatment plans.

Powerful,

Alongside low-dose imaging, adjustable fields of view, and CS MAR (metal artefact reduction) technology, the CS 8200 3D Access opens up new options for your care.

For more information on Carestream Dental visit www.carestreamdental.co.uk

For the latest news and updates, follow us on Facebook and Instagram @carestreamdental.uk n

and patient

Prepare for dental treatments with Perio Plus Forte, the powerful antibacterial mouthwash from Curaprox.

With a chlorhexidine content of 0.2%, Forte is the strongest in the Perio Plus range. This makes it ideal for patients who need a quick, intense oral hygiene boost before or after dental treatment.

The antibacterial effect is enhanced by the Citrox® formula, a clinically effective combination of natural bioflavonoids from bitter oranges and polylysine amino acids for enhanced antimicrobial activity to further gingival tissue healing. With a carefully designed flavour system plus xylitol, the Forte mouthwash isn’t just

Endodontic procedures require meticulous precision and unwavering confidence; the tools used in root canal therapy must be just as remarkable in performance as the clinician working with them.

Dental Directory supplies an abundance of endodontic-specific tools that meet the standards and requirements of your clinical use.

Designed to streamline workflows and enhance the predictability of treatments, the vast range includes everything from rotary files and apex locators to obturation systems – each item is of the most reliable quality from dependable brands. Take your endodontic procedures to the next level with a supplier you can trust

powerful – it has a pleasant taste too.

Perfect for at-risk patients for shortterm use, with optimal efficacy in both pre- and postdental treatment cases, recommend Perio Plus Forte for optimal efficiency ahead of dental treatments.

To arrange a Practice Educational Meeting with your Curaden Development Manager please email us on sales@curaden.co.uk

– supporting you throughout the entire process.

Find out more about how Dental Directory can support you every step of your endodontic journey – more to smile about!

For more information on the products and maintenance services available from Dental Directory, please visit ddgroup.com or call 0800 585 586 n

Getting your patients out of pain – fast

When your patient presents in pain and needs complex endodontic treatment, work with EndoCare to restore their health and their smile, fast!

We accept referrals for a broad range of endodontic procedures, providing highquality treatment solutions in a variety of clinical situations. We utilise cutting-edge technologies, materials and techniques to deliver evidence-based endodontics you and your patients can rely on.

A recent patient left us a 5-star online review, saying:

“From arriving in agony to leaving with a smile, team EndoCare offered sensitive care, Dr Gherasim was extremely professional and knowledgeable and understood my plight. His care was outstanding and solved my

issues immediately.”

With a quick and simple online referral process, start working with EndoCare today!

For further information about the endodontic referral services available from EndoCare, please call 020 7224 0999 or visit www.endocare.co.uk n

With over 50 years of experience working with dental professionals, Clark Dental understands how to support clinicians in their journey to single visit dentistry. The helpful team understands that each practice has unique needs, and is best placed to offer bespoke advice. Clark Dental’s high-quality portfolio includes the CEREC® range of chairside milling solutions, which is supported by DS Core®, the design station that enables you to scan and design the restorations you need with CEREC® Software. The milling range includes: CEREC® Go, the cost-effective entry to single-visit dentistry; CEREC Primemill® Lite, which makes excellence easy; and CEREC Primemill®,

which facilitates premium milling in your practice – allowing practices to select the most appropriate and cost-effective option for their unique needs.

For more information, please get in touch with the helpful team.

For more information call Clark Dental on 01268 733 146, email info@clarkdental.co.uk or visit www.clarkdental.co.uk n

Practices across the UK are currently facing significant challenges when it comes to building a strong clinical team that can meet patient demand. Staff recruitment issues are making team growth incredibly difficult, requiring many practices to find new ways of delivering care.

This is especially important right now, with practices looking to ramp up UDA activity in order to meet targets by the March 2026 deadline.

Dental Elite provides access to a unique and extensive network of locum professionals, who can be called upon to strengthen the clinical team and help practices fulfil their NHS dental contracts with confidence. Dental Elite’s experienced

The traditional dental practice sales model no longer offers the best deal for many principals. DeNovo Dental Partners has developed a new way of doing things.

We still value practices using EBITDA as normal, but we pay the full business value upfront in a combination of cash and equity in the broader DeNovo organisation.

But what really makes us different is our core belief in collaboration. We work with our Partner dentists to support continued practice growth post-sale, providing access to central support services that can be used only when wanted or needed.

consultants take a highly structured approach to screening potential candidates, ensuring a fast turnaround and the right locum dentists for your business.

Speak to a consultant about your recruitment needs today to discover how the right hire could transform your team stability in both the short- and long-term. For more information contact Dental Elite. Visit www.dentalelite.co.uk, email info@dentalelite.co.uk or call: 01788 545 900 n

partnership

Our network of practices offers a positive culture that actively facilitates growth and rewards Partner dentists as their practice develops.

If this sounds like the kind of environment your practice could excel in, contact DeNovo today for a free, no-obligation, and completely confidential chat. n

Advancing your care with IAs Academy

Take on the IAS Advanced Diploma course from IAS Academy and develop your skills to take on complex malocclusions, including extraction cases.

The Diploma combines 6 courses, beginning in June 2026 and completing in November 2027, with 154 hours of verifiable CPD hours. Dental professionals will take on clinical needs such as treatment planning for various malocclusions; the use of fixed, lingual and removable appliances; retention; and more.

Training also includes one-to-one case supervision and support with a review of treated patients, ensuring delegates form

a personal portfolio of successful orthodontic cases.

Clinicians can enquire about course availability today, but spaces are managed on a first-come, firstserved bases, due to limited spots. Get in touch with the IAS Academy team today to find out more.

For more information on upcoming IAS Academy training courses, please visit www.iasortho.com or call 01932 336470 (Press 1) n

Your Dental Practice Could Be Worth More Than You Think

If you’re considering selling, now or in the future, understanding your true value gives you clarity and control.

Dental Elite provides expert valuations and trusted guidance, supporting dental practice sales from initial valuation through to completion.

Book your free valuation today.

The year your pension needs a check-up

Pensions used to be boring. Until 2015, you paid into a personal pension during your working life and, when you retired, you could take up to 25% of the fund as a tax-free lump sum. The remaining amount then had to be used to buy a guaranteed taxable income for life –whether you needed it or not!

This wasn’t always ideal for dentists. Many wanted to access their tax-free lump sums at retirement to pay off their mortgage or go on a holiday of a lifetime. Being forced to take guaranteed income at the same time (when many already had a substantial NHS Pension) often led to excess income, unnecessary tax and money sitting in unused savings accounts.

The impact of pension freedoms Then came pension freedoms in 2015, allowing people to access their pensions in a flexible way that suited them. Want to take just the tax-free lump sum and leave the remaining fund invested? No problem. Want to increase your income by £1,000 per month until you receive the State Pension and then reduce it? Fine.

Since then, with the right professional advice, dentists have been using pension funds built up from private income to support retirement lifestyles truly tailored to them. Tax treatment depends on individual circumstances and may be subject to change in future.

Why pensions became powerful estate planning tools

Pensions provide many tax advantages:

• Contributions attract tax relief at your highest marginal rate

• The fund grows free from income tax and capital gains tax

• Any remaining pension funds on death have historically fallen outside the estate and therefore did not attract inheritance tax

Over the years, I’ve met dentists with significant private pension funds who had no further need for capital or income

and were planning to pass pensions to their dependants – avoiding the 40% inheritance tax bill that many of their other assets would face.

The 2027 rule change

From 6th April 2027, most unused pension funds and death benefits will fall into people’s estates on death and may be subject to inheritance tax. The theory behind this change is that pensions are designed for retirement planning, not wealth transfer.

Unfortunately, for many people, pensions are one of their two largest assets (alongside property), so this will significantly increase the value of taxable assets.

Please note the Financial Conduct Authority (FCA) does not regulate inheritance tax planning and trusts.

Why dentists are particularly affected

This change is likely to impact dentists disproportionately compared to many other professions. In recent years, increasing numbers of private dentists have left or reduced their NHS Pension entitlement and have wisely built significant personal pension funds from private income instead. While there is no universal solution, as everyone’s circumstances and estates are different, there are several key areas for most people to consider when planning their finances.

Key planning considerations

1. Look at the whole estate

Consider your entire estate, not just your pension. There are several exemptions that can be used to mitigate inheritance tax during your lifetime. Ensure they’re used as effectively as possible, using savings and investments as well as pensions.

2. The £2 million threshold trap

If your estate exceeds £2 million, your Residence Nil Rate Band is reduced by £1 for every £2 over this threshold. This

means a married couple’s potential joint nil-rate allowance could fall from £1 million down towards a minimum of £650,000, significantly increasing the taxable estate.

3. Don’t forget income tax

Personal income and some pension death benefits are subject to income tax. Any resulting income tax may negate inheritance tax savings – for example, if you use your pension fund to buy an annuity rather than leaving it invested.

4. be careful with tax-free cash decisions

Understand your objectives and total assets before accessing tax-free cash, particularly if you plan to do so earlier than originally intended. Many pension decisions made at retirement are irreversible – especially taking tax-free cash.

5. The age 75 rule

After age 75, pension death benefits become subject to income tax in the hands of beneficiaries, in addition to inheritance tax. This must form part of any effective estate planning strategy.

act early, plan properly

It’s essential that you take professional advice to determine the best way forward for your unique circumstances. Review your pension arrangements well before April 2027 to ensure you don’t make a very expensive mistake with one of your biggest assets. n

To speak to a Specialist Financial Adviser from Wesleyan Financial Services, visit wesleyan.co.uk/dental or call 0808 149 9416. Charges may apply. You will not be charged until you have agreed to the services you require and the associated costs. Learn more at wesleyan.co.uk/charges.

about the author

Having vast experience as a dental specialist financial adviser (sfa) over the years, simon cosgrove is now a Dental Regional Manager at Wesleyan financial services, guiding a team of dental sfas to support dentists, their families, and their practices with financial planning to secure their financial future.

Over 60% of dental searches now show an AI answer before any website listings

Dental practices across the UK are seeing a change that is easy to miss. Websites may still be receiving visits, but the quality of enquiries is shifting. Fewer high-intent private patients are coming through, and some practices are finding themselves less visible online despite demand for private dentistry continuing to grow.

In a recent industry study, published in January 2026, over 60% of dental-related searches triggered an AI-generated answer before any traditional website listings were shown. This means many patients are forming opinions and making shortlists without ever clicking through to a practice website.

The core issue is not technology. It is clarity.

For most practices, this change has not been obvious. There has been no sudden drop in traffic and no warning message from Google. The shift has happened quietly, in the background, as AI systems increasingly decide which practices are clear enough to be shown and which are skipped.

Many dental websites were built to look professional and welcoming, but not to clearly explain what the practice does best. Treatments are often grouped together on a single page, listed as a menu rather than explained. From a patient perspective, this can feel convenient. From an AI perspective, it creates uncertainty.

When everything is offered, nothing stands out.

AI systems need to understand whether a practice is known for implants, Invisalign, nervous patient care, emergency dentistry or general family dentistry. When that information is not clearly separated and explained, the system struggles to confidently surface the practice as a recommendation.

This is why two practices on the same street can experience very different visibility. One may appear regularly in AI-generated answers, while the other is rarely mentioned, despite offering similar services and having a welldesigned website.

Design alone is no longer enough. A visually impressive website does not automatically explain who the practice is for, what problems it solves, or why it should be chosen. AI systems prioritise clear explanations over polished visuals. If the message is unclear, the practice becomes easy to overlook.

We are also seeing practices lose visibility simply because they do not clearly state who they are and where they are based. Information that feels obvious to a human reader still needs to be stated plainly. Practices that clearly explain their location, their focus and the type of patients they help are far more likely to be recognised and surfaced. There are simple, practical changes practices can make.

Each main treatment should have its own dedicated page that explains what it is, who it is suitable for and why the team is experienced in providing it. The homepage should clearly describe the practice in plain language, including location and special interests. Business details should be consistent wherever the practice appears online. Common patient questions around

cost, suitability and comfort should be answered clearly, not assumed.

None of these changes require a full website rebuild. They require a shift in thinking. Your website is no longer just a digital brochure. It is a source of information that AI systems rely on to decide whether your practice is relevant.

AI-generated answers are already shaping how patients choose their dentist. This is not a future trend. It is happening now, quietly influencing visibility and patient flow. Practices that improve clarity now are placing themselves in a stronger position for the next few years. Those that do not may slowly lose visibility without understanding why. In 2026, being found is no longer just about looking good online. It is about being clearly understood. n

about the author

Jay Dickens is business Growth and Marketing strategist at connect My Marketing.

Dentists’ Provident, always by your side.

None of us know what the future holds.

Having to take time off work because of an illness or injury can have a serious effect on your finances. This is where we come in – our income protection plans can help take away the worry by replacing the income you lose, until life gets back to normal.

For over a hundred years, our members have trusted us to give them peace of mind when they need it most. Isn’t it time you did the same?

To get a quote for an income protection plan please visit www.dentistsprovident.co.uk

To discuss a new plan just for you or review your current plan please contact our member services consultants on 020 7400 5710 or memberservices@dentistsprovident.co.uk

Value is created by process, not goodwill

Selling to an associate vs selling to the market, and the broker’s role in protecting your

exit

When an associate says, “One day I’d love to buy this practice,” it can feel like the best possible outcome. You know them. They know your patients, your team and your standards. On paper, it looks like a simpler route to exit: less disruption, fewer unknowns, and a handover that happens naturally.

Sometimes that is exactly what it becomes: a well-structured deal that rewards the owner’s years of work and gives the buyer a stable platform. It can be reassuring to think the practice will remain in familiar hands.

But an associate sale is not automatically the ‘easy option’. When these transactions go off track, it is often because principals treat intent as certainty, and familiarity as due diligence. The result can be a practice stuck in limbo, a relationship put under strain, and an exit plan that drifts.

So, how do you decide whether selling to an associate is the right route, or whether you should test the open market? And whichever path you choose, how do you protect value, momentum and clarity within the practice?

Why selling to an associate is so appealing

There are genuine benefits to an internal sale: continuity for patients and staff, a potentially shorter transition, and a process that feels more controlled than a full market sale. Many owners also expect it to be more confidential and less disruptive, though confidentiality is more delicate when the buyer is already in the building.

Those advantages are real. The challenge is that they only materialise when the transaction is run with the same discipline as any other business sale.

The core choice: internal sale vs open market

In broad terms, principals have two routes:

1. i nternal sale (associate buy-in or buy-out): This can work well where the associate is genuinely ready, funding is achievable, and the owner runs a structured process with clear deadlines.

2. Open market sale (multiple interested parties): A wider process often creates competitive tension, improves price discovery and reduces reliance on one person’s changing circumstances. Neither route is ‘right’ in every case. The key is understanding the risks that are specific to internal deals and putting protections in place early.

The hidden risks that slow associate sales down

• Value gets capped, not discovered: The market determines the value of a practice. A valuation is a guide, not a guarantee. If you negotiate with one buyer only, you remove competitive forces that can strengthen price and terms.

• f unding readiness is assumed, not proven: Many associates have ambition to own, but that is different from being lender-ready. Funding depends on deposit levels, personal commitments, lender appetite and the practice’s financial profile. If affordability is not verified early, months can be lost before issues surface.

• Timetables drift: Internal deals are vulnerable to life events: family plans, relocation, health issues, or a change in appetite for ownership. The longer a deal takes, the more momentum fades and the weaker the seller’s position can become.

• n egotiations become personal: The sale of any business involves negotiation. When buyer and seller work together every day, commercial tension can spill into the practice and affect morale and decision-making.

• a uthority blurs before completion: Confusion starts when the intended buyer begins acting like the owner before contracts are signed and funds are in place. Mixed messages follow, and the principal remains legally responsible while influence slips.

Familiarity reduces uncertainty, but it doesn’t replace lender readiness, clear terms and a firm timetable.

The broker’s role: protecting value and keeping control

A broker’s role is often misunderstood as simply ‘finding a buyer’. In reality, the biggest value is process: protecting price, creating momentum, and keeping negotiations professional. This is particularly important in associate sales. Because you work together, commercial conversations can quickly feel personal. A broker provides distance, acting as a buffer that keeps discussions factual and prevents the practice environment becoming the battleground.

A broker also helps qualify the buyer early. That means verifying affordability, sense-checking the funding route, and ensuring the buyer understands what lenders and solicitors will require. This reduces the risk of an owner waiting

associate sale readiness checklist for principals

√ Has the associate demonstrated a realistic funding route and affordability?

√ Do you have a written timeline with milestones and decision points?

√ Have you agreed how price will be determined and evidenced?

√ are roles and decision-making authority clear until completion?

√ Do you have a plan if the associate’s circumstances change?

√ Do you have advisers managing negotiations so the working relationship survives?

indefinitely for someone who is not realistically positioned to proceed. Finally, a broker helps keep options open. If the associate route is right, the deal can be structured to complete efficiently. If it starts to drift, you can pivot to a wider market process without losing time or control.

At Lily Head Dental Practice Sales, we support principals across both routes: planning strategy, benchmarking value against market conditions, qualifying buyers, and managing the steps that typically slow a deal down. The aim is simple: value is created by process, not goodwill.

How to protect your exit plan

Whether you sell internally or go to market, four actions protect your position: Prove, Protect, Pressuretest, Progress.

• Prove (funding and affordability).

Ask for early evidence that the associate can fund the deal, such as an affordability assessment and a lender conversation. A broker can help interpret this evidence and sense-check whether the route is realistic.

• Protect (terms and clarity). Put heads of terms in place, define what happens during due diligence, and keep roles clear inside the practice. Avoid changes that imply ownership has transferred before completion.

• Pressure-test (value and options). Consider discreet market testing or a structured process that confirms demand and price. Even if you ultimately sell internally, evidence of wider interest strengthens your position and provides a fallback.

• Progress (timetable and momentum). Set milestones, deadlines and consequences. If a deadline slips, decide in advance what happens next. A broker’s role is to keep accountability high and prevent small delays becoming open-ended drift.

final thought

Selling to an associate can be an excellent outcome, but it should never be treated as a handshake agreement or a default route. The most successful internal sales are run like market deals: evidence of lender readiness, clear terms, disciplined negotiation and a timetable that protects the seller’s exit plan. Start with planning and options: understand what your practice could achieve on the open market, what an associate can realistically fund, and what process will get you to completion without compromising value or relationships. Contact us today to discuss your goals and discover how we can help you position your practice for success. dentalpracticesales.co.uk n

about the author abi Greenhough, Managing

of Lily Head Dental Practice sales.

Cadaver Course for Complex

SurgicalImplant Procedures

courses@vssacademy.co.uk

West Midlands Surgical Training Centre, Coventry

A comprehensive 3-day course combining intensive lectures with two full days of hands-on training on fresh cadaver specimens. Designed for experienced dental practitioners seeking to master advanced surgical implant techniques in a realistic environment. www.vssacademy.co.uk

Build your implant service and grow your practice

Reduce referrals out of the practice

Offer enhanced treatment options to your patients

Strengthen confidence in advanced surgical procedures

Learn through hands-on training with human anatomy

2:1 per cadaver head 19.5hours accredited

focus 4 expert specialists

Limited places available. Early booking recommended. courses@vssacademy.co.uk | Tel: 020 8012 8400

I’ve been offered

a practice direct from the owner…

It is common for principals to offer first refusal to an associate or colleague, ahead of putting the practice on the open market. This may be with or without the help of a sales agent. Here we discuss what you need to know, do, and think about, to decide whether to purchase or not.

Get the right information

If there is a sales agent involved, they will likely have produced a sales prospectus for you to review. This should include an income breakdown for the last 12 months, current staff costs, associate, hygiene and therapist pay terms, as well as the last three years accounts.

The latest accounts will give you a good overview of the standard practice costs (premises and running costs), however you will need current income and staffing details as these are likely to have changed since the last set of accounts were produced.

You will need all this information to review how the practice is currently performing and to produce projections under your ownership. This information will also be required by lenders when approaching them for finance.

If a sales agent is not involved, you will need to request this information from the seller directly. Consider instructing a buyer valuation so that an experienced valuer can ensure the seller is providing sufficient detail and that you have everything you need to move forward.

is this the right practice for you?

Practices are usually valued under two models: Associate Led and Principal Led. If the practice is valued Principal Led, you will need to be confident that you can generate the income attributed to the Principal. Take note of any specialist income to ensure that you include any additional associate fees in your personal projections, should you not be able to generate this income yourself.

Consider whether this is the right practice for you. Is the practice in the right area? Is the practice the right size for you to manage alongside your clinical work? If the practice needs financial investment, is this something you are able to provide? If the practice has room to expand, do you have the skills and vision to grow the practice further?

What should I do?

are you ready?

It is common for buyers to be offered a practice when they may not be actively looking to buy. Timing is important in practice sales, both financially and personally. You should think about if you have the right skills to take over and run a practice, as this is something the banks will ask. Do you have a cash deposit? Some banks will lend up to 100% finance if you have sufficient security, but most will require 5% - 20% cash deposit. Don’t forget about buying costs in addition to your deposit as these are often between £15,000 and £20,000.

Look into finance

The principal will be excited to get started but, prior to placing an offer, you will need to look into your finance options (if needed). To help with speed, it is best to use a healthcare finance broker rather than trying to contact multiple banks alone. The broker will be able to consolidate all information and prepare a lending report to issue to multiple banks, hopefully receiving multiple offers for you to choose from within a couple of days. Once you have funding offers, you will then be in a position to offer on the practice if you wish. In most cases, PFM Dental doesn’t charge a broker fee, so you can even get this help for free.

speak to an accountant

You will need to look at how the practice will work financially under your ownership. A dental accountant can prepare personal projections to illustrate this for you. Accountant’s projections will also tell you how much you will take home after loan repayments and tax.

Before going to credit with a bank or starting any legal work, you will need to confirm your purchase structure. For example, are you going to buy through a limited company or as an individual. Ask your accountant for their guidance on this to help with future tax planning.

are the terms right?

Before starting any legal work on the purchase, you will need to agree some of the main

purchase terms. Whilst discussing these with the seller and/or agent, carefully consider whether you are happy with the deal.

• What you are buying. Assets or shares if the practice is currently a limited company.

• Are you buying or leasing the property? If buying, the property should be subject to valuation in line with your bank valuation and funding. If leasing and obtaining bank funding, you will need a lease term satisfactory to the lender.

• Does the principal want to stay on as an associate or do you need them to leave at completion so that you can take over their income?

• What are the timescales? Perhaps the principal wants to sell immediately but you have a six-month associate notice at another practice – be upfront and realistic about your timescales.

c onclusion

Deciding whether to buy a dental practice is a mixture of personal, professional and financial decisions. Take your time to consider all aspects of the practice on offer to ensure that you are confident this is the right move for you. n

about the author

samantha Hodgson is a finance broker and practice valuer at PfM Dental.

Our Individually Trained Oral Prophylaxis courses empower dental healthcare professionals to transform the way they approach oral health intervention –through patient-centric engagement techniques that blend theory, inspiring behaviour-change discussions, and hands-on practical workshops.

Who are our courses for?

Whether you’re a seasoned practitioner or a recent graduate, we have an iTOP Course designed for you. Each of our courses provides a unique opportunity to expand your knowledge, sharpen your skills, and make a significant impact on the well-being of your patients.

Why should you attend?

• Discover a new approach to prevention

• Engage in collaborative learning with ‘Touch2Teach’

• Elevate your expertise in patient-centric treatments

Hands-on workshops that will shape the way your patients perceive their oral health

EVENT DETAILS

• Free take-home packs worth £200

• Earn over 6 hours CPD

For more information about our iTOP courses, please email ukacademy@curaden.co.uk

Scan the QR code to view upcoming iTOP events in 2026.

Making your dental practice more attractive to buyers

Despite ongoing pressures across the dental sector, buyer appetite remains strong in the market, with particular interest in wellrun practices that make it easier to take over once purchased. Of course, market fluctuations and valuation play a huge role, but whether interest genuinely converts into a sale is often determined by a combination of other factors, each adding to the attractiveness of a practice. Buyers are increasingly concerned with risk, clarity, and the continuity of care upon ownership. The epitome of an attractive dental practice lies in how sustainable and transferable it is, with buyers seeking a maintainable performance beyond the point of sale, without the need to restructure too heavily. For practice owners, understanding what drives this perception is invaluable, whether you are actively considering a sale or preparing your business for the future.

Predictable income streams

Income stability is one of the first aspects a buyer will consider. Practices that demonstrate consistent and predictable revenue are undoubtedly more appealing, reducing the risk of the unknown and allowing buyers to place greater confidence in future performance. This is particularly relevant when income is reinforced by strong patient retention rates or dental plans that provide stability.

Consistency is arguably more valuable than rapid growth itself. Growth remains attractive, but unexplained fluctuations can raise more questions than confidence. Importantly, a well-balanced income that is easy to interpret reassures buyers that the practice is not easily susceptible to sudden

changes in demand, funding, or patient behaviour – but instead reflects a stable and dependable business.

supporting systems

Beyond financial performance, buyers place significant importance on how a practice operates on a day-to-day basis. The presence of dependable systems and standardised processes reduces risk and supports consistent operational flow. It also minimises the workload placed on dental professionals and administrative staff, allowing more time and energy to be focused on higher-value activities.

From appointment scheduling and patient communication to clinical workflows and compliance procedures, well-established systems promote organisation and reliability. Practices that function through repeatable processes are easier to manage and transition when ownership changes, something that is highly attractive to buyers. Where systems are absent, informal, or poorly documented, buyers might anticipate disruption, inefficiency, or increased management burden.

Well-developed teams

Owner dependency is a delicate balancing act when considering a sale. In small to medium-sized practices, little to no owner dependency is often seen as a positive, as it reduces risk. Conversely, where a practice is effectively fronted by a single associate, buyers may see risk in removing that individual if they intend to work the practice themselves, as this could unsettle both staff and patients.

For larger practices it is often assumed that minimal dependency is always beneficial,

and in many cases it is. Practices that rely heavily on the principal for clinical work, patient relationships, or excessive management involvement can appear vulnerable and overly dependent upon the principal. However, where a practice is sold to a group, risk is commonly managed through deferred consideration. Whilst the absence of a present owner doesn’t prevent deferring if private equity structures require it, buyers do recognise additional risk where no one on site has a vested interest in achieving performance targets. Contrary to popular belief, most buyers want to pay the deferred consideration and demonstrate continued performance to their investors.

Practices that demonstrate strong leadership structures and shared responsibility workflows are inevitably perceived as more resilient, particularly in the absence of the principal. Buyers are reassured by practices where performance and decision-making are not exclusively dependent on one person, making integration into new ownership far smoother.

A well-supported team that works harmoniously is also far more appealing to a new principal. It reflects strong leadership, effective communication and a positive working environment, all of which support the patient experience and operational reliability.

utilising the best support available Preparation for sale is most strongly supported by experienced advisors who understand risk assessment and long-term sustainability from a buyer’s perspective. Dental Elite offers the opportunity to identify potential weaknesses well in advance of a sale. With decades of experience in the

Taking patient care from transactional to relational

Patient care should encompass not only the treatment received, but a sense of feeling genuinely cared for throughout the process. In healthcare, the majority of patient interactions are driven by transaction – from appointment booking and test results to prescriptions and more. These moments are of course necessary, but under-prioritising meaningful patient relationships omits many benefits for both the practice and patients.

Why build strong patient relationships?

Building strong relationships with patients affords a variety of clinical and commercial advantages for the practice. One of the primary benefits is compliance, whereby patients who feel listened to and understood are more likely to follow treatment plans, approach their oral health and hygiene routines proactively, and attend appointments more regularly. This trust also reduces patient anxiety and resistance, establishing a better environment for patients and professionals. Other benefits include augmented patient retention. In the increasingly competitive dental industry, patients that feel a genuine connection with their clinicians and practice are less likely to transfer elsewhere based on price or other compromising factors. Furthermore, satisfied patients – particularly

long-standing

ones – have an increased likelihood of advocacy. Word-of-mouth continues to hold a vital position within dental marketing, possessing strong, organic influence that truly represents patient experience – all without costly marketing methods.

Another bonus of relationship-centric care is its contribution to a more positive working environment. Studies prove that teams who focus on meaningful engagement with patients demonstrate higher job satisfaction, improved collaboration, stress reduction, and increased personal motivation.

staying on fORM

Initially, relationships with patients should be established before they even reach the chair. From the first point of contact to each interaction – phone calls, emails, text messages, reception communication –every exchange contributes to the tone of the relationship being built.

When initiating conversation with new patients, a good rule of thumb to follow for initiation is “FORM”, an acronym representing:

• Family and friends

• Occupation

• Recreation

• Motivation

Starting conversation and asking questions within these four topics means a decreased

dental market sector, their understanding of buyer behaviour, market conditions, and valuation drivers enables practice owners to approach a sale with confidence, clarity and control. Clients are supported throughout the process by a dedicated practice valuer and a supporting commercial team with a proven track record of sales success.

understanding buyer perspective In the current dental market, buyers are seeking confidence and reliability they can build upon for continued success. Rather than perfection, buyers want reassurance that the practice will continue to perform, that the risks are manageable, and that the transition of ownership will be as minimally disruptive to staff, patients and income as possible.

Practices that align with these buyer expectations, often with the right professional support in place, tend to attract greater interest, experience smoother negotiations, and ultimately achieve better outcomes.

For more information on Dental Elite visit www.dentalelite.co.uk, email info@dentalelite.co.uk or call 01788 545 900 n

about the author Luke Moore, founder and Director of Dental elite.

likelihood of awkwardness or stagnant moments with patients. It also allows patients to feel as though you truly care about them, beyond the treatment. This delivers a strong foundation for a growing relationship, and the benefits that come with it.

Relationship maintenance

Dental plans are perhaps one of the most effective ways to ensure a continuously growing relationship with patients. They encourage continuous attendance which offers predictable and consistent opportunity to maintain conversation and connect, further reinforcing the benefits for the practice.

Additionally, the nature of treatment plans offering preventive care rather than reactive care through regular check-ups means that patient satisfaction increases – supporting stronger, more contented relationships. Patients that feel supported over time rather than solely when something goes wrong inevitably develop deeper connections with their clinician.

IndepenDent Care Plans (ICP) supports patient relationship-focussed approaches to care by assisting practices in offering comprehensive and bespoke plans. Structuring a continuum of care, the plans offered by ICP allow patients to feel ongoing support from their clinician, enhancing affordability and proactivity.

The regular maintenance of patient care reinforces trust whilst encouraging joint

engagement in oral health. The treatment plans also establish transparency between dental professionals and patients by delivering exactly what patients expect, as they originally anticipated – supporting growing connections and minimising the sense of transaction.

a long-term investment

Building strong patient relationships is never a time-consuming task, but rather a continuum of effort. The consistent demonstration of interest and empathy goes a long way – supporting long-term advantages such as improved compliance, organic practice growth, an increased sense of loyalty, and greater positivity among team members.

The implementation of dental plans allows passive relationship-building – offering practices the unique opportunity to show their patients they care long-term.

For more information and to book a no-obligation consultation, please visit ident/co.uk or call 01463 222 999 n

about the author Dr Robert Donald, indepenDent care Plans Director.

OUR NETWORK OF CERTIFIED AJAX DEALERS INSTALL DENTAL CHAIRS ACROSS THE UK

Turn static files into dynamic content formats.

Create a flipbook
The Probe March 2026 by Purple Media Solutions Ltd - Issuu