Skip to main content

Smile March/April 2026

Page 1


• Releases free fluoride ions for 6 months1 • Fast and easy application • Temporary visual tint to aid application • Pleasant taste and fruity smell

*For caries control. †Colgate® Duraphat® fluoride varnish for patients 3 years of age and over. References: 1. Seppä L. Caries Res 1984; 18 278-281. 2. https://www.childsmile.nhs.scot/parents-carers/fluoride-varnishing/ 3. Delivering better oral health - an evidence-based toolkit for prevention, Office for Health Improvement and Disparities’ 2021. 4. Marinho VCC, Worthington HV, Walsh T, Clarkson JE. Fluoride varnishes for preventing dental caries in children and adolescents. Cochrane Database of Systematic Reviews 2013. 5. The use of fluoride varnish by dental nurses to control caries. NHS. Primary Care Commissioning, 2009. 6. https://www.england.nhs.uk/long-read/supply-andadministration-of-medicines-by-dental-hygienists-and-dental-therapists/ 7. https://www.england.nhs.uk/commissioning/wp- content/uploads/sites/12/2016/09/avoidance-doubt-v4-1.pdf.

Name of the medicinal product: Colgate® Duraphat® 50mg/ml Dental Suspension. Active ingredients: 1ml of suspension contains 50mg Sodium Fluoride equivalent to 22.6mg of Fluoride (22,600 ppm F-) Indications: For the prevention of caries in children and adults as part of a comprehensive control programme., desensitisation of hypersensitive teeth. Dosage and administration: Recommended dosage for single application: for milk teeth: up to 0.25ml (=5.65mg Fluoride), for mixed dentition: up to 0.40ml (=9.04 Fluoride), for permanent dentition: up to 0.75ml (=16.95 Fluoride). For caries prophylaxis the application is usually repeated every 6 months but more frequent applications (every 3 months) may be made. For hypersensitivity, 2 or 3 applications should be made within a few days. Contraindications: Hypersensitivity to colophony and/ or any other constituents. Ulcerative gingivitis. Stomatitis. Bronchial asthma. Special warnings and special precautions for use: If the whole dentition is being treated the application should not be carried out on an empty stomach. On the day of

‘A Badge of Dishonour’: Child tooth extractions see sharp 11% rise

New statistics released by the Office for Health Improvement and Disparities (OHID) have revealed a spike in the number of children undergoing hospital tooth extractions. In the financial year ending 2025, 33,976 children and young people (aged 0-19) underwent extractions due to tooth decay—an 11% increase compared to the previous year.

The data confirms that despite being a wholly preventable condition, tooth decay remains the number one reason for hospital admissions among young children in England.

The 2025 report highlights a deepening oral health crisis, with the financial burden on the NHS growing alongside the number of procedures. The cost of decay-related extractions for the 0-19 age group has climbed to £51.2 million, up from £45.8 million just twelve months ago.

For the youngest patients, the figures are particularly stark. Children aged 5-9 remain the most affected group. In 2024/25, 21,162 children in this age bracket were admitted to hospital for tooth decay. To put this into perspective, this is 65% higher than the number of children admitted for acute tonsillitis (13,667), traditionally the second most common cause for admission.

The report also exposes the widening gap of health inequality across the UK. Children living in the most deprived communities are now 3.5 times more likely to undergo a hospital extraction than those in the most affluent areas.

Geographical disparities remain extreme. While regions like the East Midlands reported lower rates, areas such as Yorkshire and the Humber continue to see rates significantly higher than the national average, reflecting a “dental desert” effect where access to routine NHS care is most restricted.

The British Dental Association (BDA) has reacted with fury to the figures. BDA Chair Eddie Crouch described the statistics as a “badge of dishonour for governments past and present”.

“Tooth decay cannot go unchallenged as the number one reason for child hospital admissions,” Crouch remarked. “While targeted preventive programmes like supervised toothbrushing are now in place, there is still little sign that the government is willing to rebuild access to care. Dentists can’t nip these problems in the bud if we don’t get to see the patients in the first place.”

The latest data suggests that while some preventative schemes are reaching up to 600,000

MyGDC, the new online registration service for the General Dental Council (GDC) is now live.

MyGDC replaces eGDC and marks a significant step forward in the GDC’s commitment to modernising its services and improving the experience for the thousands of dental professionals who join or manage their registration each year. In 2024 alone, the GDC received around 13,000 new applications to join the Register. The new service allows applicants to complete their application entirely online, upload supporting documents securely, verify their identity using facial recognition technology, and track the progress of their application in real time, removing the need to send documents by post.

children in nurseries, the “recovery” of NHS dentistry has stalled. Recent figures show that 43% of children have not seen an NHS dentist in the past year.

The BDA and other leading health bodies are calling for:

• Urgent Dental Contract Reform: To make NHS ntistry a viable career and increase capacity.

• Targeted Investment: Moving beyond “stopgap” urgent care funding toward long-term preventative check-ups.

• Water Fluoridation: Expanding public health measures to protect the most vulnerable communities.

As the costs – both human and financial – continue to rise, the message from the dental profession is clear: the current situation is not inevitable, but the result of sustained political choices.

Also commenting on the data, Jo Cooper, General Manager, Haleon UK&I, said: “This significant rise is a worrying reminder that too many are still experiencing preventable oral health problems. Prevention must be prioritised, with stronger action to help families build good oral health habits from an early age.”

Meanwhile, Dr Charlotte Eckhardt, Dean of the Faculty of Dental Surgery (FDS) at the Royal College of Surgeons of England (RCS England), explained that, “No child should be hospitalised for a disease that is almost entirely preventable. Tooth decay is causing unnecessary pain, missed school days and avoidable hospital admissions at a higher rate in 2025 than the year before. This direction of travel must be reversed.

“Evaluation of the supervised toothbrushing scheme is a welcome step. It will give us a clearer picture of what works and where further improvements are needed. If the government is to meet its goal of transforming the NHS dental system by 2035, it must ensure every child can see a dentist when they need to. A postcode must never dictate a child’s health.”

The British Society of Paediatric Dentistry (BSPD) has called for the expansion of initiatives such as Child Friendly / Focused Dental Practices (CFDP), which have been shown to successfully treat two thirds of children who would otherwise have been referred into stretched community or hospital dental services.

Dr Oosh Devalia, BSPD President, said: “Care must be taken not to read too much into variations in the hospital episode statistics just released, since this information is not a complete data set. For example, activity within Community-based services is significant and often not included. BSPD urges policymakers to keep a steady focus on the priorities that we know will help turn around children’s oral health – such as supervised toothbrushing, community water fluoridation and early access to dental teams.

“Last year I issued my BSPD President’s Charter which outlined nine priorities to support children and young people to enjoy good oral health. These guidelines for policymakers include the integration of oral health into other healthcare settings, with initiatives such as Mini Mouth Care Matters, the enabling of children and young people with special educational needs to be able to benefit from oral health initiatives and every child having access to oral health information in a language and format they can understand. We also need to cut under 16s’ sugar consumption – and importantly push for every child to have a ‘dental home’, with access to a dental check by their first birthday. Together these interventions will get to work on bringing the hospital episode numbers down for children.”

Lianne Scott-Munden, Clinical Quality, Complaints and Risk Manager at Denplan added her insight: “Urgent and meaningful reform that reflects how the dental sector operates whilst supporting both patients and practitioners, and embedding prevention at its heart is essential. We know that young people living in the most deprived communities face the greatest barriers to care and are more than three times more likely to have a tooth extracted due to decay than those in more affluent areas.

“Ensuring nationwide access to suitable dental care and removing the barriers that prevent everyday people from receiving timely, frequent treatment is vital. Policymakers, dental professionals and the wider healthcare system must continue to champion longterm, prevention led solutions that improve oral health outcomes for everyone.” n

Existing dental professionals can use MyGDC to manage their registration, pay registration fees, complete their annual renewal and declare their continuing professional development (CPD) hours.

Theresa Thorp, Executive Director of Regulation at the GDC, said: “Joining the register is a significant moment in every dental professional’s career. MyGDC gives applicants and dental professionals a faster, user-friendly and more transparent and accessible way to interact with us. This is part of our wider commitment in our 2026-2028 strategy to ensure our registration processes are efficient and effective.”

The shift to an online system follows user research that found the existing registration process was often seen as lengthy and difficult to navigate, particularly for new and international applicants. The lack of real-time

status updates and the reliance on paper documents created unnecessary delays and frustration.

Once MyGDC is available, applicants will receive notifications when action is required and can respond to requests for information directly through their online account. The underlying registration requirements and assessment standards remain unchanged. MyGDC changes how applications are submitted, rather than what is required.

From 25 March 2026, new applications should be submitted via MyGDC. Future dental professionals who started their registration application in eGDC on or before 24 March 2026 should send the required supporting documentation within three months of the application date. If their application is not completed by this date, they will need to submit a new application through MyGDC. n

http://www.smile-ohm.co.uk/

In what is an early contender for Smile highlight of the year, we’ve had the absolute pleasure of speaking to a team of dental hygienists and therapists that recently travelled to Tanzania, on behalf of NSK Ikigai, for Bridge2Aid. The purpose of the trip to the Kilosa district was to deliver an oral health education to those who can continue to teach for years to come, in an effort to ensure a lasting message is relayed.

SUBSCRIBE TO SMILE

Rates: UK £39.95 per year; Overseas £83 - all cheques in sterling drawn on a UK bank made payable to ‘Smile’. 8 issues including 16 hrs CPD £39.95

Published by Purple Media Solutions The Old School House, St Stephen’s Street Tonbridge, Kent TN9 2AD Tel: 01732 371 570

Managing Editor James Cooke james cooke @purplems.com Tel: 01732 371 581

Commercial Director Gary Henson gary.henson@purplems.com Tel: 07803 505208

Production and Designer 1 Lorna Reekie lorna reekie @purplems.com Tel: 01732 371 584

Production and Designer 2 Rob Tremain rob.tremain@purplems.com

Divisional Administrator Francesca Smith francesca.smith@purplems.com Tel: 01732 371 570

You may recall our previews of the trip and how it came together, which featured in our previous issues. Therefore, to gain the firsthand perspectives of the team and the insight that comes with it has been phenomenally fascinating. Surprises were discovered, including the mass availability of sugary soft drinks. Read more on page 10

in association with:

of

Editorial Advisory Board: Dr Barry Oulton, B.Ch.D. DPDS MNLP; Dr Graham Barnby, BDS, DGDP RCS; Dr Ewa Rozwadowska, BDS; Dr Yogi Savania BChD, MFGDP; Dr Ashok Sethi, BDS, DGDP (UK), MGDS RCS; Dr Paroo Mistry BDS MFDS MSc MOrth FDS (orth); Dr Tim Sunnucks, BDS DRDP; Dr Jason Burns, BDS, LDS, DGDP (UK), DFO, MSc; Prof Phillip Dowell, BDS, MScD, DGDP RCS, FICD; Dr Nigel Taylor MDSc, BDS, FDS RCS(Eng), M’Orth RCS(Eng), D’Orth RCS(Eng); Mark Wright BDS(Lon), DGDP RCS(UK), Dip Imp Dent.RCS (Eng) Adv. Cert, FICD; Dr Yasminder Virdee, BDS.

Circulation Manager Andy Kirk

Managing Director Ed Hunt ed.hunt@purplems.com Tel: 01732 371 577

Scan to explore Smile Oral Health Matters back catalogue online or visit smile-ohm.co.uk/issues/

Elemental Antibacterial Wound Dressing

A Revolution in Bone Graft Protection

Minimise Complications and Improve Healing Conditions In Mucogingival and Implant Surgery

Leveraging the antibacterial and wound-healing properties of zinc ions, Elemental can be used post-operatively with or without a membrane.

Elemental activates when in contact with boiling water, and the resulting material, which sets rigid and stable, can be quickly and easily moulded and shaped according to the needs of the patient.

From the margins to the mainstream

As dental professionals, we do not need convincing that oral health is inseparable from general health. We see the links daily – diabetes destabilised by periodontitis, oral cancer detected in a routine exam, children in pain who cannot eat, sleep, or learn. Yet, at a system level, oral health still sits at the periphery of health policy.

This month, we have published a policy brief, ‘Oral Health Landscape 2026’, to address that imbalance. Its central message is simple but urgent: if oral health is not embedded in England’s 10-Year Health Plan, the plan’s ambitions on prevention, inequality, and system sustainability will fall short.

The mismatch between burden and priority

Oral diseases remain among the most common non-communicable conditions, sharing risk factors with obesity, diabetes, cardiovascular disease, cancer, and respiratory illness. The same drivers –free sugars, tobacco, alcohol, deprivation – shape both oral and general health outcomes.

Despite this, dentistry is still largely framed through access problems and contract reform rather than as a cornerstone of prevention. That framing underestimates both the scale of disease burden and the economic consequences. Dental pain continues to divert patients to GPs and A&E. Extractions under general anaesthetic remain one of the most common reasons for hospital admission among young children. Adults delay care due to cost, only to present later with more complex need.

For a health system seeking to move ‘from sickness to prevention,’ this is a structural blind spot.

Why this moment matters

The NHS is undergoing a deliberate shift – from hospitals to communities, analogue to digital, and intervention to prevention. These priorities mirror the direction of travel set by the World Health Organization global oral health strategy. Oral health is not an outlier here – it is a test case. Few areas demonstrate the return on prevention, the impact of inequality, and the cost of late intervention as starkly as dentistry.

Our brief argues that oral health should be used as a lever to accelerate these reforms, not treated as a downstream service issue.

What we are calling for and why

A ring-fenced prevention fund

We know supervised toothbrushing, fluoride varnish, fissure sealants, and sugar reduction policies work. We also know they are patchy, shortterm, and vulnerable to local budget pressures.

The proposal to ring-fence a small share of revenues from health taxes on tobacco, alcohol, and sugary drinks is about policy coherence. If these products contribute to disease burden, it is rational that a portion of the revenue supports mitigation.

For clinicians, this is not abstract economics. It is fewer children needing extractions, fewer adults progressing to advanced disease, and more capacity to focus on complex care rather than preventable crisis.

Oral health embedded in Integrated Care Board planning

Too often, dentistry sits outside mainstream system design. The brief calls for oral health to be explicitly commissioned within NHS England Integrated Care Board frameworks, with:

• DCP-led stabilisation clinics.

• Community urgent care hubs.

• Oral health screening integrated into primary care.

This is about redistributing risk, not just workload. When prevention, stabilisation, and early intervention happen in community settings, hospital demand falls and inequalities narrow. Dental teams become active contributors to population health management, not isolated providers.

Digital integration, not digital isolation

Dentistry has often been technologically advanced chairside but disconnected systemically. Oral health indicators rarely appear in mainstream NHS dashboards. Data on outcomes, inequalities, and preventive performance remain fragmented.

Including oral health within digital performance frameworks – alongside AI-supported triage, risk stratification, and patient engagement tools –brings dentistry into the same accountability and improvement architecture as the rest of healthcare.

For the workforce, digital learning and remote training also address retention and skill-mix challenges, particularly in underserved regions.

This is about equity as much as efficiency

Oral diseases follow the social gradient more steeply than many other conditions. Pain, tooth loss, and oral cancer disproportionately affect those with the least access to care and the greatest exposure to risk factors.

Embedding oral health into prevention policy is therefore a levelling-up measure. It tackles visible inequalities – the child missing school, the adult unable to smile confidently at work – while also reducing long-term NHS costs.

A profession-wide opportunity

This brief is not a critique of dentistry – it is a challenge to the system around it. Contracts, access and workforce capacity remain fundamental to what NHS dentistry should deliver, and government progress here is still too slow. I often speak with dental teams who feel that strain every day: rising need, limited capacity, and patients struggling to secure care. Those realities cannot be ignored.

But the solution is not to frame dentistry only as a service in crisis. It is to reposition it. The dental workforce is one of the NHS’s most underused preventive assets. When oral health is embedded in prevention policy, community care models and digital reform, dental professionals move from the margins to the mainstream of health delivery.

This keeps contracts, access and workforce central, but adds influence. It places dentistry at the heart of how the system tackles prevention, inequality and long-term value. Without that shift, we will remain a high-pressure service managing diseases we already know how to reduce, without the system support to do so. n

ABOUT THE AUTHOR

Dr

Treatment of periodontitis and minimally invasive treatment with modern technology

In today’s dental practices we strive to work in a health-promoting, preventive, minimally invasive and evidencebased manner. But what is the background to this and how do we implement this philosophy in practice?

Learning aims

The aim of this article is to provide dental professionals with an understanding of the modern, minimally invasive philosophy in the treatment of periodontitis and biofilm management. It explores the evolution of air polishing and ultrasonic technologies and their role in improving both clinical efficacy and patient comfort.

Learning objectives

By the end of this CPD module, the reader will be able to:

• Discuss the global shift from restorative to preventive dentistry as recommended by the WHO.

• Explain the development of air polishing from a cosmetic tool to a pathological treatment for biofilm removal.

• Identify the benefits of biocompatible powders in subgingival and supragingival therapy.

• Describe how “Intelligent Piezo” technology distinguishes between calculus and root surfaces to preserve healthy tissue.

• Recognise the role of cavitation and acoustic streaming in biofilm disruption during ultrasonic scaling.

Learning Outcomes: C

Technological developments have enhanced a number of protocols and treatment methods, which place high demands on professional development. As dental professionals, we are responsible for keeping ourselves up to date with new research and new techniques. Are formal certifications required to follow updated protocols, or is participation in courses sufficient? We believe that course participation is an effective way to stay professionally updated. Courses not only provide access to the latest knowledge, but also provide the opportunity to meet colleagues and exchange experiences and expertise.

Minimally invasive dentistry in focus Minimally invasive treatment has received increased attention, especially in periodontitis treatment and prophylaxis. The goal of minimally invasive treatment is to preserve healthy tissue and reduce pain and recovery time. Ideally, patients will experience the benefits of this approach, making it easier for them to engage in the preventive care we offer in dentistry.

We see an increasingly strong link between oral and general health, and prevention has never been more important. In 2015, the UN (United Nations) set sustainability goals to ensure good health and quality of life for all by 2030. However, oral health was not included. This led to the WHO (World Health Organisation) publishing the Global Oral Health Status Report in 2022, which showed that oral diseases are among the most prevalent diseases globally, and that half of the world's population will be affected. In response, the WHO launched The Resolution on Oral Health, which recommends a shift from restorative to preventive treatment .

Modern technology: Airpolishing, powder therapy and Piezo

Prophylaxis is gaining increased attention, and the demand for modern, minimally invasive equipment has increased. Courses on this topic are more popular than ever, both for dentists, dental hygienists and dental therapists.

Airpolishing

Air polishing technology was first developed in 1945 by Dr Robert Black, originally using aluminium oxide for tooth preparation. In the 1970s, it became popular to remove discolouration using a gentler powder, mainly for use supragingivally. Air polishing was previously seen as a cosmetic treatment, but today it has an important role in pathological treatments, in the form of powder therapy and biofilm removal.

Powder Therapy: A Breakthrough in Biofilm Removal

In the 1990s, the development of biocompatible powders began, and research looked at the potential of air polishing technology to remove biofilm. The development of new powder types and lower-pressure technology enabled both

sub and supragingival treatment, throughout the mouth, making treatment more preventive and pathologically directed. In the late 2000s, subgingival air polishing was introduced as a new treatment modality. The method was initially a revolution in implant maintenance and periimplantitis prevention but has since proven to be highly effective for full mouth debridement – including biofilm removal on gingiva, tongue, mucous membranes, furcations, crowns, bridges and root surfaces. The powder, which consists of amino acids, the body's own protein, is biocompatible and gentle while effectively removing biofilm and light discolouration. The fact that the powder does not contain antiseptics is also an advantage in terms of sustainability and resistance development.

IPiezo technology

Technological developments have also improved ultrasonic scaling and mechanical depuration techniques. NSK has Intelligent Piezo, an ultrasonic scaler that can distinguish between calculus and the root surface. This ensures that only calculus and biofilm are removed, while the root surface is preserved. The treatment is fast, efficient and more comfortable for the patient.

Hand instruments are still important but are increasingly used as a supplement to control the work of the ultrasonic scaler.

Ultrasonic scaling creates a cavitation effect that breaks down the biofilm and eliminates bacteria, as well as acoustic streaming that removes dissolved particles from the pockets .

NSK offers a wide range of more than 80 different tips suitable for use with the Varios Combi Pro2 for minimally invasive treatment, including:

• Scaling

• Perio

• Implants

• Endodontics

• Retrograde endo

• Irrigation (endo)

• Preparation and conservative treatment, tips for minimal invasive therapy

• Surgical procedures

Efficiency and patient comfort

Modern, minimally invasive equipment is not only gentle, but also efficient and timesaving. Clinicians are exposed to less strain, while the patient experiences a faster and more comfortable treatment.

NSK Ikigai

NSK Ikigai Oral Hygiene Community welcomes dental hygienists and dental therapists. This community of like-minded professionals offers a new way of working, providing a deeper level of job satisfaction, enhancing the individual’s practice and enhancing patients’ wellbeing. NSK Ikigai runs courses, an annual webinar programme and can be seen at a variety of conferences in the UK and Ireland providing hands-on workshop tuition in modern treatment methods. 

www.mynsk.co.uk/ikigai

CPD Questions

1. Which of the below are goals of minimaly invasive treatment?

a. Preserving healthy tissue

b. Reducing pain

c. Reducing recovery time

d. All of the above

2. When was subgingival air polishing introduced as a new treatment modality?

a. 1940s

b. 1970s

c. 1990s

d. 2000s

3. What does ultrasonic powder contain?

a. Antiseptics

b. Amino acids

c. Antibiotics

d. Probiotics

4. Ultrasonic scaling is an important element of minimally invasive therapy. Which of the below are correct?

a. Ultrasonic scaling cannot be used alongside hand instruments

b. Ultrasonic scaling breaks down the biofilm and eliminates bacteria

c. Ultrasonic scaling can damage the root surface

d. Ultrasonic scaling is not sustainable

Teaching in Tanzania

NSK

educators share oral health wisdom in Kilosa

In the early weeks of 2026, a dedicated group of educators, representing NSK Ikigai, embarked on a mission with Bridge2Aid that would bridge the gap between clinical expertise and community-led change. The team travelled to the Kilosa district of Tanzania with a singular goal: to impart oral health wisdom that would last long after their departure. What they discovered was a landscape of stark contrasts – where the aggressive marketing of sugary soft drinks meets a deep-seated community spirit, and where traditional beliefs are being carefully navigated to make room for evidence-based prevention.

Western standards. Siobhan recounts a visit to a shop at one of the schools where they were providing training: “A small sweet shop sold large bottles of Fanta that contained the equivalent of 18 teaspoons of sugar, compared with the seven teaspoons in typical bottles sold in the UK and Ireland.”

Perhaps more concerning was the lack of awareness among those tasked with local care. “The local medical professionals I worked with initially estimated there were only two teaspoons of sugar in those drinks, which shows how widespread the misunderstanding is

Sugar trap

Siobhan Kelleher, the Ikigai clinical and project lead, found the trip to be eye-opening in ways she hadn’t expected. Her observations on the ground revealed a significant public health challenge that often goes unnoticed by those outside the region: the sheer ubiquity of high-sugar products.

“While delivering oral health instruction, I was shocked by how visible and readily available sugary soft drinks were,” Siobhan reflects. “They were stacked high on nearly every corner and sold even at remote schools.”

The level of sugar in these products was particularly alarming when compared to

about how much sugar is hidden in packaged beverages,” Siobhan notes. “Sugary drinks are cheap, ubiquitous, heavily marketed, and often perceived as harmless refreshment.”

Siobhan emphasises that education alone cannot solve this crisis when the environment aggressively promotes high-sugar products. She advocates for coordinated action, echoing the World Health Organization’s call for increased taxes on sugary drinks. “Lower consumption helps prevent disease and reduces the burden on health systems; taxes can also provide governments with revenue that can be invested in health, education and social protection. Only by

combining education, clinical services, and policy interventions can we reduce preventable disease and protect the health of future generations.”

Culturally respectful prevention

For Lauren Long, the week spent in Kilosa was an opportunity to witness how fear, tradition and limited access to healthcare shape oral health beliefs. She observed that clinical treatment is only one piece of the puzzle. “Seeing this firsthand reinforced for me the critical importance of prevention through education,” she says.

Lauren was particularly moved by the receptiveness of the people she encountered. “I was struck by the openness of the community and their willingness not only to listen, but to share knowledge with others,” she reflects.

Her experience reaffirmed a core philosophy of the mission: “Sustainable change does not begin with treatment alone, but with empowering communities through evidence-based, culturally respectful prevention - the cornerstone of improving oral health outcomes worldwide.”

Overcoming barriers

Cat Edney’s time in Tanzania with Bridge2Aid provided a deeper look into the mechanics of global health partnerships. She was particularly impressed by the thoughtfully designed nature of the work. “Seeing first-hand the brilliant work that Bridge2Aid does in supporting oral healthcare delivery in rural communities gave me a far deeper understanding of sustainable global health partnerships,” Cat notes.

One of Cat’s most significant realisations involved the structure of the local healthcare workforce. “Dental therapists are exceptionally well placed to deliver community-focused prevention and care,” she explains. “They are not only clinicians but trusted members of their communities, deeply integrated into local healthcare systems. Their role extends beyond treating pain or infection –they are educators, advocates, and connectors within a broader health network.

“This integration creates real opportunity for joined-up thinking, where oral health is not treated in isolation but as part of a whole-body health mindset. It was inspiring to see how naturally this approach fits within the Tanzanian healthcare context.”

Of course, the experience was not without its challenges, as Cat recalls: “We encountered communication barriers, differing expectations, and the complex task of ensuring we were genuinely meeting the needs of the communities we were there to support. At times, navigating these differences required patience, humility, and reflection. However, these challenges only reinforced how important it is to approach global health work with open minds, curiosity, and a willingness to adapt.”

Cat found the resilience and flexibility of the Tanzanian people to be a model for her own practice: “Rather than seeing obstacles as setbacks, they are approached as opportunities to learn and improve – a mindset that I found both humbling and motivating.”

Sustainable education

Robbie Stewart’s focus was on making a sustainable impact. “We spent our time training and equipping local healthcare professionals and teachers with the knowledge and confidence to identify dental disease and deliver vital oral health messages within their own communities,”

he explains. “By empowering them with skills and understanding, we are helping to create longterm change – a ripple effect that will extend far beyond our time in Tanzania.”

The team’s work in local schools delivering oral health workshops aimed to encourage positive habits from a young age. “Education truly is power,” says Robbie. “Understanding how to care for your mouth and body is fundamental to living a healthy, confident life.”

Community kindness

Despite the somewhat daunting remoteness of the surroundings, the experience only deepened Anna Peterson’s respect for the communities and the power of sustainable education.

“The people in Kilosa were desperate to learn more about how they can look after their oral health, and they were already using a toothbrush with toothpaste,” says Anna. “We taught them the correct techniques and provided guidance on how to prevent oral diseases. We were there for five days and, within those five days, teachers and leaders of the community were already sharing the messages that we had taught them.”

Anna also recalls witnessing many acts of kindness within the community. “These people didn’t have much, but they also didn’t ask or want for much. Everything they did have, they shared. This is something a lot of us here in the UK could learn from. I genuinely feel that, for all

the information we taught to them, they taught us something greater. They taught us to stop rushing, slow down, and appreciate everything we already have.”

Prior to the trip, Anna confesses that she had no idea what to expect. “To be honest, I was somewhat apprehensive. I wasn’t sure if we would be entirely welcomed or appreciated – but how wrong was I? I have never felt so welcomed or appreciated anywhere. The smiles and faces will stay with me for the rest of my life.”

IOM heartbreak

“Tanzania was something different – in the very best way,” begins Gulab Singh, echoing Anna’s closing remarks. “The schoolchildren were so welcoming and interactive, and we learned so much about the local culture and way of life. Would I go back again? Yes. Definitely yes!”

However, Gulab reflects, beyond the smiles, a very real issue became apparent. “We volunteered under Dr Nila, who is incredibly hardworking and deeply passionate about eliminating the practice of Infant Oral Mutilation (IOM),” says Gulab. “We attended 10 different workshops organised across schools in Kilosa, bringing together community leaders, community health workers, traditional healers, faith leaders, and teachers.

“It was heartbreaking to hear the real stories behind IOM. One mother shared that she had lost her child due to the practice. We also met an eight-month-old baby who had undergone IOM a few months earlier, requiring hospitalisation and a blood transfusion. Thankfully, the baby is now doing well.”

“Working alongside the passionate Dr Nila, who was educating community leaders, politicians, healthcare workers, doctors, teachers, and pharmacists about infant oral mutilation, our focus was on delivering practical oral hygiene instruction that could be shared widely and sustainably,” shares Amanda Harbrow-Harris.

Amanda adds that, while oral hygiene levels were often poor, the school setting and available resources were better than expected. “The children were a joy to work with – warm, and incredibly welcoming – making the experience truly once in a lifetime and a powerful reminder of the reach of prevention-led care.”

Lasting legacy

The journey of the NSK Ikigai educators to Tanzania was more than a volunteering trip; it was a masterclass in global health cooperation. By combining the clinical expertise of British and Irish professionals with the local knowledge and trusted status of Tanzanian healthcare professionals, teachers, and community leaders, the group has planted the seeds for long-term improvement in oral health. As the team returns to their daily practices, the lessons of Kilosa –resilience, the power of community, and the urgent need for structural change in the food environment – will continue to influence their work for years to come. n

Lipless possibility

The 2023 Mouth Cancer Action Month campaign featured a computer-generated image of a man whose mouth had been digitally removed along with the caption ‘You’d notice if it wasn’t there’. I came across this very successful campaign poster recently and it got me thinking that you’d definitely notice if the lips weren’t there. This led to me wondering whether lips are ever congenitally absent?

Well, it transpires that the ‘lipless condition’ or ‘lipless syndrome’ occurs when individuals are born without fully developed lips, usually due to rare congenital conditions such as a complex craniofacial syndrome, involving foetal development of the jaw and mouth.

As you can imagine, this absence of lips can cause distinct facial characteristics and numerous day-today challenges, including difficulties with speech, eating and social interaction.

One well documented case was that of Darina Shpengler, a young Russian girl born with ‘Nager syndrome’, also known as ‘Nager acrofacial dysostosis’ – a condition caused by genetic mutations that affect craniofacial development during foetal growth. As a result of this rare facial deformity, Darina was born without lips or chin, and she subsequently received pioneering medical treatment in 2019 at Great Ormond Street Hospital in London after her family fought tirelessly to secure her a chance of a better life.

Whilst the complete absence of lips is, fortunately, extremely rare, Nager Syndrome is just one of as many as 100 congenital craniofacial conditions that affect lip formation. They include:

• Cleft Lip and Palate: One of the most common birth defects, involving an opening or split in the upper lip and/or the roof of the mouth, occurring when facial structures do not close fully during foetal development. The size of the cleft varies and evidence suggests that it’s caused by a combination of genetic and environmental factors, and may develop as part of one of the many syndromes that feature clefts.

• Pierre Robin Sequence (PRS): A rare congenital birth defect named after the French dentist who first connected the link between the physical

features and systemic breathing problems. The condition is characterised by an undeveloped jaw (micrognathia) that causes breathing difficulties and backward displacement of the tongue (glossoptosis), which in turn can obstruct the airway and cleft palate, usually in the form of a wide U-shaped cleft that disrupts feeding and speech.

• Juberg-Hayward Syndrome (JHS): A polymalformative syndrome that associates multiple skeletal anomalies with microcephaly, cleft lip and palate, facial dysmorphism, urogenital anomalies and intellectual deficit.

• Foetal Alcohol Spectrum Disorders (FASD): Maternal alcohol consumption, particularly at high levels during pregnancy, can have a possible epigenetic effect on philtrum shape and upper lip contour, and can lead to a range of birth defects, which may include facial dysmorphism such as a flattened midface. Also, a combination of maternal smoking and drinking results in various FASDs and influences a number of lip traits, including lower lip contour and chin shape.

• Van der Woude Syndrome: A genetic disorder featuring cleft lip/palate and pits in the lower lip.

• Stickler Syndrome: This affects collagen (often disturbing connective tissue) optical, audiology and cardiac tissues as well as clefting.

• 22q11.2 Deletion Syndrome (DiGeorge Syndrome) associated with heart defects, diminished calcium levels, learning difficulties, and cleft palate.

• Siderius-type Syndromic Intellectual Disability: An X-linked disorder with intellectual disability, dysmorphic features, and cleft lip/palate.

Treatment

Not all individuals require treatment as the symptoms of the various conditions can vary significantly. If sonography reveals a cleft, the medical team will usually offer further genetic testing (e.g. an amniocentesis test) because there’s an increased likelihood (between 15 and 30%) of the presence of an underlying syndrome compared to those born without a cleft. Most babies born with clefts are ‘non-syndromic’.

However, even if their cleft isn’t as a result of a syndrome, comprehensive care is still key.

Patients with lip defects are usually managed by a team of specialists at dedicated craniofacial departments within hospitals. Treatment for these conditions often involves reconstructive surgery, sometimes including multiple procedures over a number of years in order to build lip structure and function.

Surgery to repair the lip and palate early in life helps address many issues but speech and occupational therapy may still be implemented to help address functional challenges related to eating, drinking, and communication.

Cognitive support is also a priority for the individuals and their families as they navigate the medical, social, and emotional challenges associated with these conditions. Resources and information on living with cleft and craniofacial conditions can be found through organisations such as Cleft Lip and Palate Support (CLAPA) and the Foetal Alcohol Spectrum Disorder network (FASD UK).

If anything, this piece should serve as a reminder that we must never take our lips for granted. Soothe, nourish. hydrate and protect them from UV rays because, as Ovid once said ‘Lips, however rosy, must be fed’. n

References available upon request

ABOUT THE AUTHOR

ALI LOWE

Ali Lowe is the founder of Fit Lip UK – a campaign aimed at encouraging people to wear SPF lip balm in order to protect their lips, prevent lip cancer and keep their mouth healthy.

Great Quality

Great Price

Made in Great Britain

OPTIM Interdental brushes are precision made in the UK, using high tensile strength, plastic-coated, stainless-steel wire at the core, which helps to prevent the brushes from buckling, even on the smallest sizes. They are the same colour coded sizes that practices/patients are already familiar with and are very competitively priced.

For more information or to request a sample, simply speak to your dealer, scan the QR code or visit www.optim-idb.uk

Gamification and oral hygiene – is it suitable

There is a lot of concern about declining attention spans in younger generations. Between lockdowns of the pandemic and the boom of social media, screen time has increased. In particular, the fast-paced environment of TikTok has created an addictive, constant feed of short videos that has had a genuine impact on cognitive function: both primary and secondary school students now struggle to focus on schoolrelated activities for more than 10 minutes.

Beyond school, shorter attention spans can impact numerous everyday activities. The oral hygiene routine is no exception, and dental practitioners must ensure that paediatric patients remain focused and engaged with their oral health. One way of doing so is through the gamification of dental care.

Everything’s a game

Gamification is the use of features to increase target behaviours and engagement. Its application enables users to perform tasks effectively by making them more enjoyable. In everyday life, gamification has flourished: it’s the use of smart watches to record heart beats and exercises, the levelling up on language-learning services, the collecting of membership points with every supermarket shop. All are designed to keep people coming back.

Continuously watching fast-paced videos interferes with a child’s capacity to perform tasks correctly, decreasing their ability to control impulses and hardwiring the brain to expect instant gratification. This means that the constant release of dopamine primes the body for a rush. As such, finding ways to maintain interest in other activities is essential to produce the best results – the quality of toothbrushing won’t be as high when attention is elsewhere.

Game on

Studies on the gamification of healthcare as a whole have found positive changes. In particular, patient motivation has increased due to the greater engagement in the ‘games’ and the learning experiences it provides. Moreover, patients with more chronic conditions have reported better selfmanagement and a stronger adherence to their treatment or recommended actions.

For oral health, gamification can improve motivation – especially for young siblings who can compete with one another. A difficulty arises with just how to gamify the daily oral hygiene routine without making it too competitive. Across other activities, speed is often the mark of success – whoever does something the fastest is the winner. This is problematic for toothbrushing because the two-minute recommendation must be followed for optimal hygiene outcomes. Similarly, more frantic brushing within that two-minute period may cause gingival bleeding by being too rough. This gives toothbrushing limitations for gamification: how can it be engaging and competitive without being fast or too rough?

Rewarding excellence

The introduction of elements like badges, levels and leader boards can be a great way of enhancing the toothbrushing experience and increasing compliancy. Children that complete a two-minute brush with constant focus and care should be rewarded with a badge or sticker, especially if they have previously struggled with brushing their teeth correctly. Once children understand and maintain the rewardable level of toothbrushing, it should be instilled in them for the future and rewards won’t be needed.

However, there are two likelihoods to consider with any ‘game’. First, there is an increased propensity for children to cheat. Whilst this is difficult to do with a parent/guardian watching over, children may find ways around not brushing their teeth. Plaque disclosing tablets can help in this, identifying the effectiveness of the brushing and also helping the child to understand why they need to brush. The second likelihood is that children may lose interest in the long run – if they are consistently rewarded, the impact is dulled.

Inserting some fun

Whilst it is easy to point a finger at social media as a cause for lowered attention spans, dental practitioners should also highlight the benefits to parents/guardians. Apps like TikTok can be great tools for education, with a growing number of dental brands and influencers highlighting oral health habits on them. This enhances a child’s engagement with their dental hygiene.

The Oral Health Starter Kit for Kids is an unmissable Curaprox product that motivates paediatric patients to look after their teeth. Alongside an ultra-soft

toothbrush and watermelon flavour toothpaste, the set includes a tooth loss chart, tooth fairy letters and envelopes and a safe-keeping pouch. Not only do these make toothbrushing more interactive for the child, but they highlight the importance of consistent oral care for the future.

The gamification of everyday activities has many pros and cons, but it helps compete against the lowering attention spans of younger generations. Dental practitioners should detail the ways in which parents/guardians can increase toothbrushing compliancy for their children, and turn oral hygiene from chore to fun activity.

To arrange a Practice Educational Meeting with your Curaden Development Manager please email us on sales@curaden.co.uk

For more information, please visit www.curaprox. co.uk and www.curaden.co.uk n

References available upon request

ABOUT THE AUTHOR

Andrew Turner is Head of Marketing UK & Ireland, at Curaden UK

Always a plus

An effective mouthwash is a reliable supplement to toothbrushing and interdental cleaning, maintaining a healthy oral microbiome for long-lasting quality of life. With a simple swish and rinse, patients can protect their teeth and gingivae by reducing the risk of oral disease.

But mouthwashes can also serve more specific purposes, especially for pre- and post-surgical needs. Enter the Perio Plus mouthwashes from Curaprox, an innovative range of oral hygiene solutions that each offer unique prophylactic benefits for at-risk patients.

Antimicrobial mouthwashes reduce dental plaque biofilm, removing harmful particles and increasing patient protection to caries. A key component for this to work is chlorhexidine, with three of the four Perio Plus mouthwashes containing the antiseptic to varying levels: Balance, Regenerate and Forte.

Scales of power

With Perio Plus Balance, the lower chlorhexidine content of 0.05% makes it exemplary for long-term use, maintaining a healthy microbiome. Balance is recommended for patients who may have additional challenges to oral health, such as impaired motor function, limited dexterity (such as patients with dyspraxia) and those undergoing orthodontic treatment, who may struggle to access each tooth

surface and interdental space when brushing. Its unique formula also contains sodium fluoride – an invaluable mouthwash ingredient that is associated with a large reduction in caries in permanent teeth.i

Containing a higher chlorhexidine content at 0.09%, Perio Plus Regenerate is even more effective against bacteria. Patients with periodontitis or damaged gingival tissue can optimise the healing process with the regenerative powers of the mouthwash, better preparing them for any future oral surgery. A further recommendation is for patients with xerostomia – Regenerate provides relief from dry mouth, supporting the lower levels of saliva in neutralising harmful particles.

Perio Plus Forte has the highest chlorhexidine content at 0.2%. This powerful concentration means it is only suitable for short term use (3-7 days) on patients requiring intensive care before or after dental treatments. It fights plaque build-up in a short, sharp blast, reinforcing gingival health and leaving a highly protective film over the teeth and oral mucosa. This reduces halitosisproducing bacteria too.

A safe alternative

Whilst chlorhexidine is excellent for oral prophylaxis, it isn’t always applicable as it can eliminate both bad and good bacteria. For vulnerable patients, such as those with cancer,

Introducing NEW Oralieve Flavour Free Toothpaste

end of life care, autoimmune conditions or other medical reasons, Curaprox recommends Perio Plus Zero, a next generation formula that provides antibacterial protection without the need for chlorhexidine. Instead, Perio Plus Zero specifically targets the cariogenic bacteria streptococcus mutans. An advanced biohacking method then disrupts bacterial communication to prevent the formation of harmful colonies. Gentle and nonstaining, Perio Plus Zero maintains gingival health without relying on chlorhexidine agents.

Flavour behaviour

Besides outstanding oral hygiene outcomes, mouthwashes in the Perio Plus range are united by a shared ingredient: Citrox®. A bioflavonoid derived from bitter oranges, it taps into natural antibacterial properties so that, along with polylysine, it can quickly preserve beneficial bacteria and eliminate harmful types. To cap it off, each Perio Plus mouthwash is pleasant tasting, optimising compliancy without slacking on the very best oral hygiene outcomes. For patients who may need extra support in maintaining and improving their oral hygiene, Curaprox ensures that every need is answered with the Perio Plus range of mouthwashes. Recommend today.

To arrange a Practice Educational Meeting with your Curaden Development Manager please email us on sales@curaden.co.uk

For more information, please visit curaprox.co.uk and curaden.co.uk 

References available upon request

No added flavours

Designed specially for individuals experiencing dry mouth, taste sensitivity, or aversions to strong flavours.

SLS-free and non-foaming –gentle on dry and sensitive mouths 1450ppm fluoride and xylitol to help protect teeth most recommended brand by healthcare professionals for dry mouth relief* No. 1

Scan to request samples

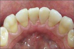
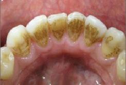
Combatting sugar in children’s diets

For maintaining oral health, at every age, it is essential to minimise sugar in the diet and ensure oral hygiene is at a good standard. As clinicians it’s important to offer parents and carers advice regarding their children’s oral health as early as possible. The NHS guidelines recommend that one-year-olds should have a maximum of 10g of sugar per day, with two- and three-year-olds having no more than 14g per day. Sugars should not be added to food or drinks given to babies under the age of one. This applies to naturally occurring sugars and added sugars.

Sometimes, it may be difficult for parents and carers to understand which foods are appropriate for their children, as some foods which appear to be healthy options may actually contain high levels of sugar. Therefore, educating those with young children about the risks of sugar for oral health at any age, and the value of looking after primary teeth, is very important.

Organic foods or sugary snacks?

A recent report from The Food Foundation, which aimed to examine the diet and health of UK children aged one to five, brought to light concerns

about the ways baby and toddler snacks were promoted. The research was carried out by Action on Salt and Sugar at Queen Mary University of London, and found that across the packaging of 113 snacks, many claimed to be natural or healthy (28% of claims), and others highlighted the presence or absence of certain ingredients (21%). However, 20% of the products contained high amounts of sugars and 50% contained medium levels of sugar.

These types of foods and snacks are widely consumed by young children, with parents assuming that they were created based on the dietary needs of babies and toddlers. However, in reality, products that claim to be ‘one of a child’s five a day’ or ‘organic’ and contain ‘no junk’ may actually contain the equivalent of three sugar cubes per serving. This quantity of sugar may put children’s oral health at risk.

Baby’s first check up

In order to monitor children’s oral health, and establish a good relationship with young patients as they grow up, it is very important that they are brought to the dentist when they are young. The NHS recommends either taking a child to the dentist when their primary teeth first emerge, or before they are one year old. Doing this helps children to become familiar with the dental environment, and get to know their dentist – even if the child simply opens their mouth so that the practitioner can have a look, it’s good practice. At this time, it is a good opportunity to highlight the importance of a healthy diet, and what that looks like for very young children. This might mean advising against sugary snacks, and instead recommending more non-sweet vegetables like broccoli, cauliflower, and spinach.

Getting used to toothbrushing

Similarly, recommending that parents start to brush their child’s teeth as soon as their first primary tooth comes through helps them to get used to the process. It’s important that the right technique is used to clean the teeth – which it can be helpful to demonstrate to parents – and that the teeth are cleaned twice per day (morning and night). All of the appropriate advice should be given to parents and carers to ensure their child is receiving the best possible care.

The NHS recommends using a toothpaste with the appropriate fluoride level for a child’s age, ensuring they get effective protection against cavities. While this guidance is well-known, parents benefit from understanding how the way fluoride is delivered can make a real difference for long-term dental health.

BioMin® F for Kids is suitable for children aged three and up. Although it contains a lower fluoride level (530ppm) than typical guidelines (1350ppm1550ppm), its innovative bioactive formulation and unique technology gradually releases fluoride and essential minerals over 10–12 hours. This provides ongoing protection, helping to safeguard little teeth from the frequent acid attacks caused by sugary snacks, fruity drinks and meal-times, long after brushing is finished. The lower fluoride content also means there is a reduced risk of accidental ingestion, offering peace of mind for parents while maintaining effective cavity prevention. Choosing a flavour that children find pleasant can also help parents establish consistent twice-daily brushing routines from an early age, supporting lifelong oral health habits.

In order to help parents and carers navigate the challenges of managing their child’s dental health, be sure to offer the most appropriate advice when it comes to sugar consumption, dental visits, and toothbrushing to minimise their risks of dental problems, and give them the best start in life.

The science is clear. The solution is simple. For further information please visit: www.biomin.co.ukn

References available upon request

ABOUT THE AUTHOR

Specialty brushes

TePe has a great selection of brushes to complement the regular toothbrush, specifically designed to keep every smile healthy. No matter if you have braces, dental implants, or tricky spots to clean, we’ve got just the right brush to make at-home care easier and more enjoyable!

TePe® Denture Care with extra-long and strong filaments, it’s optimal for cleaning a removable denture.

TePe® Implant Orthodontic Brush is a special toothbrush designed to clean along implants and fixed braces.

TePe® Gentle Care is a super soft toothbrush recommended as the second brush stage after oral surgery and for patients with sore or delicate tissues.

Scan the QR code to view TePe’s specialty brushes.

TePe® Universal Care has a unique angle for better access to hard-to-reach areas. Optimal for cleaning on lingual surfaces and along the gum line of natural teeth, implants, prosthetic constructions, fixed lingual braces, retainers and retroclined teeth.

TePe® Interspace is an angled, single-tuft brush with replaceable brush tips. The angled head and the pointed tip improve access to hard-to-reach areas, such as furcations and behind the last tooth.

TePe® Special Care Compact is an ultra-soft toothbrush with a small brush head, recommended for patients after oral surgery and for patients with sore or delicate tissues.

TePe® Compact Tuft is a single-tuft brush with a dome-shaped brush head for precision cleaning of hardto-reach areas, such as implants, attachments for overdentures, fixed braces, or along the gum line.

Osteoporosis and oral health: the intersection

Osteoporosis is a systemic skeletal disorder categorised by low bone density and deterioration. It is one of the most prevalent diseases in older adults and particularly post-menopausal women. The disorder involves the systemic weakening of bone strength which leads to a heightened vulnerability to fractures; osteoporosis is often asymptomatic until a fracture occurs – making early intervention and detection imperative.

Fragility fractures affect almost one in three women and one in five men over the age of 50 – but the disorder impacts beyond systemic health, affecting oral health too. Ongoing research evidences the bidirectional link between osteoporosis and oral health, with reduced bone density impacting the jawbone and further affecting the surrounding periodontal tissues and tooth retention. It is therefore crucial as dental professionals to both understand and support patients experiencing the effects of this relationship through early identification and preventive strategies.

Periodontal health

Characterised by the inflammation of the gingivae and the intensifying deterioration of the alveolar bone, periodontal disease is more prevalent in those with osteoporosis. Both diseases are inflammationdriven and associated with age-related bone diseases. Not only does this encourage weakened surrounding periodontal support, but can also compound periodontal conditions – creating an enfeebled oral environment.

Contrarily, the reverse can occur, whereby periodontal disease impacts systemic inflammation – potentially affecting both osteoporosis and bone metabolism – demanding greater collective management of the two.

Bone density and tooth loss

Low bone density affects the strength and structure of the jawbone. The alveolar bone – which supports the teeth – uses the teeth’s movement to maintain its dynamic nature and volume. In turn, a reduced volume of the bone weakens the foundations – increasing the risk of tooth mobility and gingival recession.

Not only can the consequence of the disease be tooth loss, the weakened alveolar bone can also make prosthodontic treatments – such as implants or dentures – incredibly challenging. The frequent monitoring and early intervention of such is vital in maintaining oral health and function, as well as patient comfort long-term.

In osteoporotic women – particularly those who are post-menopausal – tooth loss may be caused by both local and systemic factors. The bidirectional relationship means periodontitis is an early indicator of osteoporosis – making it imperative for dental professionals to assist in recognising the signs, supporting through, and adapting treatment plans to the individual.

Medication and systemic considerations

The management of osteoporosis commonly involves bisphosphonates – often alendronate and risedronate – which essentially inhibit bone resorption. Reducing the rate of bone tissue breakdown, bisphosphonates maintain or increase bone density, which may assist in the prevention of tooth mobility and loss. The consistent monitoring of this treatment is necessary to manage the risk and side effects, which sometimes include osteonecrosis of the jaw (ONJ) and atypical femoral fractures in long-term use.

Other methods of medication include hormone replacement therapy (HRT) – often oestrogen –to navigate hormonal deficiencies. Due to the importance of oestrogen in maintaining bone density, HRT is most commonly used in postmenopausal women to counteract the reduced secretion of oestrogen and counteract the bone loss caused by hormonal changes.

Patients receiving these forms of medications must be managed with a multidisciplinary approach to ensure that each element of their osteoporosis and oral health symptoms are supported properly.

Preventive measures

Dental professionals can best assist their osteoporotic patients by recommending preventive strategies. These include the cessation

of smoking, reduction of alcohol intake, increased supplements like vitamin D and calcium, and profound attention to oral care – beyond the average mechanical cleaning. Each of these changes contribute to maintaining both periodontal and bone health.

Supporting great oral health involves the encouragement of a consistent and comprehensive routine. With gentle yet thorough cleaning, patients can assist with the preservation of the alveolar bone and the reduction of gingival inflammation. Older adults suffer from osteoporosis most commonly, they also often experience sensitivity and gingival recession and will require gentler cleaning techniques to target biofilm.

Integral interdental care

Alveolar bone loss most commonly begins in interdental spaces, meaning that dental professionals must recommend the best interdental cleaning methods to patients. Not only will this help minimise the reduction of bone loss, but it can prevent the development of other oral diseases too.

A highly effective choice are the FLEXI interdental brushes from TANDEX. Specially designed to deliver an efficient and gentle cleaning aid for between teeth and along the gingival margin, the brushes come in 11 different sizes to suit each patient’s specific interdental spaces. Furthermore, the ergonomic, flexible grip makes it easy to reach interdental spaces throughout the entire mouth – even the hardest-to-reach areas at the back. Paired with the PREVENT Gel from TANDEX, the brushes create the perfect preventative oral routine –non-abrasively protecting oral health with 900 ppm of fluoride to help keep caries at bay.

Working towards the best outcome

As research continues to evidence, the intersection between osteoporosis and oral health is something that patients require support with. By recognising oral manifestations, such as bone loss and tooth mobility, and recommending the best preventative strategies and tools, patients have the best chance of successful management.

For more information on Tandex’s range of products, visit https://tandex.dk/

For product samples and orders, please contact DHB Oral Healthcare https://dhb.co.uk/ n

References available upon request

ABOUT THE AUTHOR

Jacob Watwood on behalf of Tandex.
JACOB WATWOOD

This

Protecting implants starts with prevention

Peri-implant disease often develops quietly, but the opportunity to stop its progression does not last. With this in mind, Louise Warden explores how early detection and a biofilm-focused approach can protect implants for the long term.

The aim of this article is to explore the early detection and management of peri-implant disease, with a focus on recognising peri-implant mucositis, assessing risk and applying a structured, biofilm-focused approach to support long-term implant outcomes.

On completing this Enhanced CPD session, the reader will:

• Understand the clinical significance of peri-implant mucositis as a reversible stage of oral disease that can progress to peri-implantitis if missed

• Recognise the clinical signs of peri-implant mucositis and assess implants systematically

• Apply risk-based recall strategies for patients with a history of periodontitis

• Identify how Guided Biofilm Therapy supports effective implant maintenance, including its differences from traditional approaches

Learning Outcomes: A, B, C, D

Peri-implant mucositis is widely recognised as a reversible stage of oral disease but, in practice, this window of opportunity to intervene is often missed. The consequences are significant, as mucositis can progress to peri-implantitis relatively quickly and, once bone loss is established, management becomes more complex and less predictable.

There are two main reasons this opportunity is lost, with the first relating to patient attendance. Implant patients who do not attend for regular maintenance are unlikely to have peri-implant mucositis identified until disease has already progressed. The second is clinical, so that even when patients are seen regularly, early signs may be overlooked or not followed up with sufficient urgency.

This is not simply about recognising disease but rather recognising it early enough to act. In everyday practice, implant maintenance should be viewed as an active intervention rather than a routine review. Without a structured approach, it is easy for subtle changes to be missed.

The implication is clear: early identification and management of peri-implant mucositis is essential for protecting long-term dental implant outcomes.

Recognising the early signs

In reality, peri-implant mucositis shares many features with gingivitis, including redness, swelling and bleeding on probing. Biofilm accumulation around the implant is characteristic, and suppuration may also be present, which can sometimes be unexpected and therefore overlooked.

A structured assessment should form part of every maintenance appointment. This includes careful visual examination of the tissues, gentle palpation, confirmation of implant stability, and probing to assess pocket depth, bleeding and deposits. Taking time to follow a consistent protocol helps reduce variability between clinicians and improves early detection.

Clear documentation, supported by intraoral photography where possible, allows changes to be tracked over time. This is particularly valuable in implant patients, where small changes can signal the early stages of disease progression.

Who is at risk?

Implant patients with a history of periodontitis are at increased risk of peri-implant disease, with growing evidence continuing to reinforce this association.1 This has important implications for both treatment planning and long-term maintenance. Before implant placement, periodontal stability should be achieved. This includes addressing active disease and considering wider risk factors such as smoking and systemic conditions, such as diabetes, which may influence healing and long-term outcomes.

Once implants are placed, these patients require closer monitoring. Recall intervals of two to three months are often appropriate as a necessary part of maintaining health around the implant. Communication with patients is equally important. Patients need to understand that implants are not immune to disease, particularly if they have a history of periodontal issues. Supporting them to maintain effective plaque control at home is a critical part of long-term success.

Traditional maintenance approaches were developed with calculus and stain removal in mind,

rather than biofilm as the primary target. This presents a limitation in implant care, where biofilm is the key driver of disease.

Many clinicians will recognise the challenge of managing implants using conventional methods, particularly when biofilm cannot be clearly visualised.

A different way to manage biofilm

Dental hygienists and dental therapists play a central role in delivering effective implant maintenance. Ideally, they should be involved before implant placement to provide oral hygiene instruction, as well as immediately after treatment and throughout ongoing care.

For this to work well, practices need clear protocols, strong communication between clinicians, and appropriate investment in equipment and training. Hygienists and therapists also need the confidence and autonomy to manage implant patients effectively within their scope of practice. Implant care works best when it is approached as a shared responsibility across the dental team.

Guided Biofilm Therapy (GBT) introduces a more structured and targeted approach to implant maintenance and is often described as a ‘game changer’. A key part of this approach is the use of disclosure to make biofilm visible, allowing clinicians to move from relying on tactile detection to seeing what needs to be removed.

Before disclosure became part of the process, clinicians may have relied on a probe to demonstrate biofilm but, in reality, patients were often unable to see it. Making biofilm visible changes both the accuracy and consistency of treatment, while also creating a clearer framework for communication with patients.

From a patient perspective, the difference can be significant. Many implant patients, particularly those with recession or complex full-arch restorations, expect maintenance to be uncomfortable. A more controlled and minimally invasive approach can improve comfort considerably.

This matters more than it might first appear, because patient comfort influences attendance, and attendance directly affects long-term outcomes. When patients can clearly see where biofilm accumulates and understand what they need to do, oral hygiene advice becomes more meaningful and easier to

CPD Questions

1. What is a key reason peri-implant mucositis may be missed in practice despite regular patient attendance?

a) It does not present with visible inflammation

b) Early signs may be overlooked or not followed up with sufficient urgency

c) It can only be identified radiographically

d) Patients do not report symptoms

2. What is a characteristic clinical feature of peri-implant mucositis?

a) Biofilm accumulation around the implant

b) Bone loss around the implant

c) Implant mobility

d) Loss of supporting tissue

3. How should implant patients with a history of periodontitis typically be managed in terms of recall?

a) Standard six-month recall intervals

b) Review only if symptoms develop

c) Annual monitoring following implant placement

d) Recall intervals of two to three months

4. What is a primary benefit of using disclosure in implant maintenance?

a) It replaces the need for probing

b) It allows clinicians to detect calculus more easily

c) It enables patients to see where biofilm accumulates and where improvements are needed

d) It reduces appointment time

5. What is a key clinical advantage of Guided Biofilm Therapy (GBT) in implant maintenance?

a) It relies on tactile detection of deposits

b) It focuses primarily on stain removal

c) It eliminates the need for patient education

d) It allows clinicians to identify and remove biofilm more precisely

follow. Behaviour change is challenging, but when patients can visualise the problem and track their progress over time, engagement often improves.

Prevention benefits everyone

Implant maintenance sits within a wider, preventionfocused model of care. Successful outcomes rely on a co-ordinated approach between the clinician placing the implant, the hygienist or therapist maintaining it, and the patient managing daily care.

A structured protocol supports consistency across the team and allows early identification of problems where they arise. While disease cannot always be avoided, it can often be managed more effectively when detected early.

In practice, this approach creates a more predictable standard of care. It also supports clearer communication between team members and a shared understanding of treatment goals.

A well-managed implant maintenance programme also supports a busy and productive hygiene diary. Strong recall systems, consistent patient engagement and effective communication all contribute to improved practice performance. Ultimately, effective implant maintenance is built on consistency, clarity and prevention. When these elements are in place, long-term success becomes far more achievable for both patients and the clinical team.

Reference 1. Serroni M et al. History of periodontitis as a risk factor for implant failure and incidence of periimplantitis: a systematic review, meta-analysis and trial sequential analysis of prospective cohort studies. Clin Implant Dent Relat Res 2024; 26(3): 482–508 n

ABOUT THE AUTHOR

LOUISE WARDEN

Louise Warden is an SDA Trainer and dental hygienist with over 20 years’ experience, with a particular focus on implant maintenance, periodontology and Guided Biofilm Therapy. She works in a referral-based environment managing complex cases and is actively involved in education, supporting hygienists and dental therapists in developing their clinical skills. Louise is passionate about prevention-led care and the role of the wider dental team in achieving longterm patient outcomes.

Let’s talk about money…

BSDHT President Rhiannon Jones sat down with Jay Dhaliwal from Chase de Vere to talk about money, confidence in managing it and how to feel more financially secure

Rhiannon and Jay’s conversation took place as part of a wider discussion on the latest BSDHT Dental Health Matters podcast, where the pair explored financial confidence, professional protection and the realities of modern working lives in more depth. The Q&A below reflects that conversation, focusing on the practical considerations facing dental hygienists and dental therapists today.

Rhiannon: Money can feel like an uncomfortable topic for many dental hygienists and dental therapists. Why do you think it so often gets pushed to the back of the queue?

Jay: I think a lot of clinicians are focused on patient care and just getting through busy days, especially when they’re working across multiple practices or are self-employed. Financial planning can feel like something to deal with at a later stage. But the reality is that the earlier you understand your finances, the more confident and secure you tend to feel in your career.

Rhiannon: Professional indemnity is something all clinicians have, but it can still feel quite abstract. How do you explain its importance?

Jay: Indemnity is there to protect you if something goes wrong, whether that’s a complaint or a miscommunication. The costs involved can be significant, and having the right cover in place means you’re not facing that alone. It’s not just about money; it’s about peace of mind and knowing you can focus on your work.

Rhiannon: Where does legal cover fit into everyday working life?

Jay: Legal cover often comes into play around contracts, employment status and working arrangements. These issues can come up suddenly, especially if you’re moving between practices. Having access to legal support allows you to sense-check decisions early, which helps you feel more confident about the choices you’re making.

Rhiannon: Many dental hygienists and dental therapists are self-employed or rely on limited employer benefits. What should they be thinking about in terms of personal financial protection?

Jay: This is where things like income protection become really important. If you can’t do your job, income protection can pay a regular, taxfree amount, often until retirement age. It gives people the option to step back and recover without finances immediately becoming the driving force behind decisions.

Rhiannon: And what about critical illness cover and life insurance?

Jay: Critical illness cover can provide financial breathing space if someone is diagnosed with a serious illness, so they can focus on recovery. Life insurance is about protecting dependants and covering commitments like mortgages. These are areas many people haven’t been guided through, but they can make a real difference.

The full conversation is available in the Dental Health Matters podcast episode Money Matters: Building Financial Confidence as a Hygienist or Therapist, released on 24 February. Visit www.bsdht.org.uk/podcast to listen.

Rhiannon: We often talk about confidence in clinical terms, but financial confidence can be harder to define. How does feeling secure financially affect working life?

Jay: Finances play a huge role in confidence, even if people don’t always realise it. When you understand your financial position and the protections you have in place, it can reduce a lot of background stress. That clarity helps people feel more confident in their decisions, whether that’s changing working patterns, asking for a pay increase or thinking about next steps in their career.

Rhiannon: Pensions are another area that can feel confusing, particularly for those working across different settings. How do you approach that conversation?

Jay: Pensions are something people often put off thinking about because they feel complicated. I work a lot with the NHS pension, which is a really valuable scheme but also a complex one. People don’t always understand how it fits into their wider financial picture. When you look at pensions alongside everything else, it becomes much easier to make confident decisions.

Rhiannon: And that’s where tools like cash flow planning come in?

Jay: Exactly. Cash flow planning lets you see different scenarios, whether that’s going parttime, changing roles or retiring earlier or later. Being able to visualise those options can be incredibly reassuring, especially when careers don’t follow a straight line.

Rhiannon: Finally, if there’s one message you would want people to take away from this conversation, what would it be?

Jay: A lot of people go through their professional lives without giving financial planning much thought until something goes wrong, or they reach a point where they wish they had started sooner. So, for me, the key message is not to wait until there is a problem, because even small steps early on can give you more choice, more confidence and greater peace of mind about the future. n

RHIANNON JONES

BSDHT

Rhiannon is the President of the British Society of Dental Hygiene & Therapy.

JAY DHALIWAL

CHASE DE VERE

Jay Dhaliwal is an independent chartered financial planner at Chase De Vere with 10 years’ experience supporting dental professionals. She specialises in protection, pensions, savings and long-term financial planning tailored to real working lives.

Addressing the challenges of children’s oral health in a changing nuclear family structure

As dental professionals, we understand the reality of higher prevalence of caries in deprived areas, where toothbrushes are sometimes shared amongst siblings - if children can find one in the house and when they remember to clean their teeth. When I worked in an NHS setting, especially after Covid hit, many of my days were spent on young patients’ extractions and fillings, with no time left to see any adults. It was so disconcerting.

In private practice we are not immune to dental decay in children either, circumstances are just different. In September 2025, The Royal College of Surgeons1 looked at children being hospitalised in England and reported tooth decay being 54% more prevalent than acute tonsillitis!

Children may not have parents struggling to provide essential toiletries and have a decent grasp of oral hygiene techniques, but challenges can still arise.

Over the last decades, we have witnessed significant transformations of what was understood as the traditional nuclear family - i.e. a household comprised of a married couple and their children. The domestic structure has evolved towards a more heterogeneous composition, extending to lone-parent families and same gender couples with children. Understanding these new dynamics is important to appreciate oral health behaviours if we want to help more.

Lone-parent families in the UK2 represented 3.2 million in 2023 out of a total of 19.3 million families. The single parent structure often sets up an environment where parenting styles3 by two conflicting caregivers clash more prominently and dental care routines often get disrupted when there are two co-parenting households. Because of this residential instability and the influence of spoiling grandparents, children present a higher risk of inconsistent hygiene and dietary habits, and subsequently dental decay.

We have also observed a gradual shift in the traditional gender roles of men as breadwinners and women as caregivers in families with more egalitarian aspirations. This often leads to a greater emphasis placed by parents on self-development and professional ambitions, with busier work schedules making it harder to dedicate a lot of time to children’s diets and dental routines.

I know how much of a balancing act this can present as I am the proud mum of a 6-year-old girl and also became a practice owner three years ago after starting as a trainee dental nurse and progressing as a dental hygienist/therapist.

The duality of my role allows me to recommend simple tools to parents to help their children improve or maintain a healthy level of oral hygiene. At home, my daughter has started using a Philips Sonicare toothbrush and she loves it. When brushing time strikes, the family I-Pad magically becomes available - the only screen time my daughter gets - and Sparkly comes into play (this is the character on the Philips Sonicare for Kids app which guides her to brush effectively). Sparkly gets happier when my daughter achieves a successful brushing session with her Sonicare. She can unlock accessories to personalise the fluffy character, she can win food for Sparkly who likes to eat healthy too. The whole experience gives her a sense of pride, some level of independence and a reward for her achievement every time! The toothbrush helps her clean her teeth for longer and I can track her progress on the parent dashboard, which is so convenient when you have to multi-task!

Good brushing is essential, but the need for good eating habits cannot be overlooked either. A recent initiative I introduced in local schools focused on hidden sugars and the risk of acid attacks. I was delighted that the children were so incredibly receptive and engaged - which proved very insightful. I

learnt that behavioural changes can happen, however, reinforcement at home is key.

Of course we cannot change the world overnight but we can collectively do our best to reduce the risk of dental decay. I am also wondering whether we are sufficiently relatable to patients when it comes to dietary habits before we even go into oral hygiene advice. Do patients think that we are super oral health heroes who never eat or drink foods containing sugar? Maybe we need to make ourselves more relatable and tell our patients that we also consume chocolate cakes and smoothies. The difference is that we have oral health knowledge - and tools - to avoid gum health issues and dental decay. It should be a case of do as I do and say! n

References available upon request

ABOUT THE AUTHOR

Eleanor Cowlam, Dental Hygiene Therapist and Director of Windsor St Dental.

As the pressure of practice grows, your wellbeing matters too. With confidential counselling and wellbeing support available at no extra cost, Dental Protection is by your side every step of the way. It’s time to put yourself first, with the support you deserve.

Recommendations based on evidence

Dental professionals will always endeavour to recommend the best solutions to their patients. This isn’t only a professional requirement, as the General Dental Council’s Standards for the Dental Team notes patients should be provided with care and advice that is in their best interest, but a simply human one too.

The science behind dentistry, backed by centuries of research, has led to oral hygiene routines and treatments having increasingly predictable outcomes. When a professional recommends that a patient changes their approach to daily toothbrushing, or undergoes care to rectify an oral health issue, it must therefore be supported by clinical research.

Making recommendations based on proven facts is important, especially in a world where access to cheaper alternatives – from electric toothbrushes and water flossers from brands that aren’t household names, to restorative treatment abroad – are so prominent, and understandably appealing to patients. It’s the responsibility of dental professionals to ensure patients are aware of the highest-quality, safest, and most importantly, clinically-proven choices available to them.

The importance of proven solutions Patients should understand the need for their oral hygiene routines and treatments in order to fully engage with treatment. For younger patients, these explanations can be simplified; brushing your teeth twice a day keeps your teeth healthy, and the proof provided is with pictures of people with bright white smiles. Adult patients will need to hear the same message, but dental professionals can have a more in-depth conversation about the differences between the options available.

It is in these conversations that the power of clinical findings can succeed. For example, clinicians may recommend a patient changes from a manual toothbrush to an electric toothbrush. These are now well known by patients, but the decision to invest could be supported by mentioning that research has found the latter is more effective for reducing plaque,

gingivitis, calculus and staining. It may then be prudent to refer to findings on specific solutions, ensuring that patients select products

that will make a difference to their oral hygiene; an individual that invests in an unproven and potentially unsafe product will not want to hear that they spent their money on an ineffective item. Recommendations may be based on previous clinical experience, items that have been identified when doing extra research, or from trusted sources such as the Oral Health Foundation’s approved products. These items, marked by the charity’s ‘Approved’ smiley-face logo, give added assurance to patients by noting that the claims made are clinically-proven and not exaggerated. Clinicians could advise that patients look out for such signs when considering new items, and doing further research into products before purchase.

Picking up new routines

Interdental cleaning or water flossing are known within professional circles to be useful additions to daily cleaning, aiding access to plaque and bacteria in interdental spaces. When introducing a new habit to the oral hygiene routine, it’s vital that patients have access to safe, proven solutions.

In the literature, water flossing and conventional interdental cleaning have been found to reduce plaque accumulation, gingival inflammation and bleeding across a range of patient populations. Daily water flossing has also been shown to reduce results of poor oral hygiene, including oral malodour, by alleviating gingival inflammation and reducing oral anaerobes. When dental professionals talk to patients about the potential need for such a solution, citing up-to-date research findings shows they are not only putting clinical needs first, but justifying their recommendations.

The literature has found that when patients agree with a clinician’s advised course of action, it was a sign of increased trust – this agreement will only come when a patient feels sufficiently informed.

Avoid imitations

In the online age, it has never been easier for patients to get their hands on new oral healthcare products. When choosing individual products, it’s once again vital that individuals find those that are backed by science, and not simply manufactured to imitate those that are proven to provide clinical benefits.

Water flosser solutions from Waterpik™, including the Cordless Advanced water flosser, are backed by 80+ research studies to ensure that patients choose products that they trust. The Cordless Advanced is a rechargeable water flosser with 4 flossing tips and a 360º rotating head, for complete access to the dentition.

The literature shows it can remove up to 99.9% of plaque from treated areas in as little as 3 seconds, and it is up to 2x as effective as string floss for removing bacterial plaque and improving gingival health.

Clinicians need to support patients by providing recommendations that are based on scientific fact. This ensures that individuals can trust the dental team, and make effective, safe and predictable changes to their oral health.

For more information on WaterpikTM water flosser products visit www.waterpik.co.uk. WaterpikTM products are available from Amazon, Costco UK, Argos, Boots and Tesco online and in stores across the UK and Ireland. n

References available upon request

ABOUT THE AUTHOR

Rachel is a dental hygienist working at Bupa Dental Care Leeds and Churchview Dental Care, where she offers high-quality care to her patients. She has been a professional educator for Waterpik™ for years, and will talk about the importance of water flossing and her experience with Waterpik™ solutions.

Simple interdental cleaning with Cordless Pulse

Making the oral hygiene routine simple and effective for patients is a key goal for every dental professional. When it comes to interdental cleaning, traditional flossing can be especially difficult and technique-sensitive, discouraging individuals who simply want the best for their oral health.

Clinicians should consider recommending simpleto-use but clinically proven alternatives, such as the Cordless Pulse water flosser from Waterpik™. Understanding the benefits of this type of solution enables more informed guidance, while the extensive research behind the product provides confidence in its effectiveness.

Target at the source

Interdental cleaning is a vital addition to the oral hygiene routine as toothbrushing alone cannot access every site in the oral cavity. Interdental spaces can be missed, but access below the gingival margin is often limited too, with the inability to fully reach into larger periodontal pockets. Conventional flossing aims to support this, but the Cordless Pulse water flosser is 2x as effective as its string floss alternative when improving gingival health.

The Cordless Pulse works by delivering a stream of water into the difficult-to-reach areas, dislodging bacteria, plaque and debris. Patients can choose between two pressure settings, which can help them find a comfortable approach. This may be especially beneficial for patients who have previously had trouble with traditional floss causing pain or bleeding throughout the periodontal tissue.

The targeted pulse of water needs just three seconds at a treated site to remove up to 99.9% of plaque and bacteria, leading to a thorough clean without exceptional difficulty. As a result, patients can have a fresh and clean feeling after every use – which is the ideal outcome for any oral hygiene routine.

Behind a simple design

Traditional flossing can often be difficult, and patients with dexterity issues may face even greater challenges. Targeting individual teeth and narrow interdental spaces isn’t always easy, even when clinicians demonstrate the correct technique during an appointment. Rather than being discouraged, patients can benefit from the Cordless Pulse as an easy-to-manoeuvre alternative.

With a sleek design, the Cordless Pulse is easy to hold, featuring a non-slip grip that supports a wide range of patients, including those with reduced dexterity.

The design offers further advantages. Its compact form makes the Cordless Pulse an ideal travel companion, and the ergonomic, non-slip grip and waterproof body mean it can be used confidently in the shower.

An easy-fill reservoir provides up to 45 seconds of continuous flossing, avoiding the stop-start nature of some other devices. Instead, the Cordless Pulse integrates effortlessly into the patient’s existing oral hygiene routine as a convenient adjunct.

Trust in Waterpik™

Patients are increasingly doing their own research into general and oral health solutions, but it’s important that they prioritise clinically-proven and safe products. It’s the responsibility of the dental professional to recommend oral hygiene adjuncts they trust.

Waterpik™ solutions are backed by 80+ research studies, with more than 60 years spent optimising oral hygiene adjuncts for all patients. The Cordless Pulse is just one highlight of a wide range of solutions, such as the versatile Cordless Advanced water flosser, or the most powerful choice, the Ultra Professional water flosser. They all have one thing in common –they’re all refined and provided by Waterpik™.

Standing out as the only water flosser brand to be approved by the Oral Health Foundation, and the #1 water flosser brand recommended by dentists, be sure to mention Waterpik™ by name to your patients.

For more information on WaterpikTM water flosser products visit www.waterpik.co.uk. WaterpikTM products are available from Amazon, Costco UK, Argos, Boots and Tesco online and in stores across the UK and Ireland. 

References available upon request

Designed to help soothe the mouth on the go – an ideal solution for patients with dry and sensitive mouths

Soothes and provides comfort as they slowly dissolve in the mouth

Perfect for on-the-go use –convenient and discreet

Sugar-free and contains xylitol to help stimulate natural saliva as well as protect teeth and support a healthier mouth

Refreshing lemon-lime flavour

Fluoride and paediatric dentistry: striking the right balance

Fluoride has long been recognised as a cornerstone of paediatric dental care, and its importance lies in the way it supports the development and maintenance of strong teeth during childhood. Deciduous teeth are particularly vulnerable to caries because they are softer and more porous, making additional care vital in many cases.

Despite the many benefits of fluoride use in oral hygiene, the excessive ingestion of this chemical can lead to fluorosis. For this reason, the use of fluoride in paediatric dental care should be carefully monitored and balanced between mitigating caries and avoiding fluorosis.

Historic discoveries

The successful use of fluoride in the prevention of caries has been well documented for over 100 years. In 1901, dentist Dr Frederick McKay observed that many children living in a specific area of Colorado Springs presented with a unique brown staining on their teeth, but suffered with very few caries.

Upon further research, Dr McKay discovered a very high concentration of fluoride in the local water supply, prompting further research into the relationship between fluoride and its ability to mitigate of caries. By the 1940s, states in America began adding fluoride to the public water supply, and its use in dental products became widespread across the world by the 1950s.

Bountiful benefits

Fluoride helps to reinforce enamel, making it more resistant to the acids that cause caries. It does this by promoting remineralisation, and mitigating early damage.

The recommendations for fluoride use vary depending on age, and careful supervision is essential to ensure children benefit without risk of overexposure. For infants and toddlers up to three years old, only a small amount of fluoride toothpaste (the NHS references it as a smear) is advised. Parents should supervise brushing closely at this stage to prevent children from swallowing toothpaste.

From the age of three to six, the amount can be increased to a pea-sized portion, with children encouraged to spit out the toothpaste after brushing without rinsing. Twice daily brushing at this age helps to build good habits for later life

whilst protecting deciduous teeth. Professionals may find it appropriate to recommend fluoride varnish applications during routine check-ups. These varnishes provide an extra layer of protection, particularly for children at higher risk of caries or hypersensitivity. Patients of all ages can continue to benefit from these if they need extra support alongside a standard oral hygiene routine.

The need for moderation

Dental fluorosis appears as faint white streaks or spots on the teeth. As this develops, white lines in the enamel can become more pronounced, alongside cloudy aspects of the enamel, or even the entire tooth taking on a chalky white appearance, ultimately losing transparency. With prolonged exposure, the enamel can become less mineralised and more susceptible to damage.

If children ingest an excessive amount of fluoride, usually from swallowing too much toothpaste or from unnecessary doses of fluoride tablets, fluoride toxicity can occur. Nausea, vomiting, abdominal pain, and diarrhoea are some of the symptoms, and whilst rare, very high doses may even be fatal.vi Such issues are rare, but clinicians can support paediatric patients if they begin to notice adverse symptoms or have been exposed to high levels of fluoride.

Supervision is key

Parents play a crucial role in managing fluoride use. Supervision during brushing is vital, especially for younger children, to avoid swallowing excess toothpaste.

Following age-specific guidelines and professional advice ensures that children receive the right amount of fluoride safely. Clinicians should provide the necessary support for all parents, to ensure that young patients are best supported. They can also provide assurance for concerned parents who may be aware of fluorosis, but unknowing of quite how much fluoride will trigger adverse effects.

Finding the right balance

In addition to daily routines, professional fluoride treatments can provide valuable support. 3M™ Clinpro™ Clear Fluoride Treatment from Solventum (formerly known as 3M Health Care) is one option that focuses on making the experience more pleasant for children. Unlike traditional varnishes that may feel sticky or taste unpleasant, Clinpro™ Clear Fluoride is designed to be comfortable, with a smoother application and improved taste. It is formulated to provide an effective fluoride uptake with a lower dosage, thanks to soluble fluoride ions that immediately deposit on the tooth, supporting patients experiencing hypersensitivity.

A lifetime of protection

Fluoride remains an essential ally in paediatric dentistry, offering powerful protection against caries when used responsibly. The challenge lies in striking the right balance, providing children with enough fluoride to strengthen and safeguard their teeth, while avoiding the risks of overexposure. With careful supervision, adherence to age-specific guidelines, and professional oversight, fluoride can continue to play a pivotal role in nurturing healthy, confident smiles that last a lifetime.

To learn more about Solventum, please visit https://www.solventum.com/en-gb/home/oral-care/ For more updates on trends, information and events follow us on Instagram at @solventumdentalUK and @solventumorthodonticsemea ©Solventum 2024. Solventum, the S logo and Clinpro are trademarks of Solventum and its affiliates. 3M is a trademark of 3M company. n

References available upon request

Polypharmacy and Oral Health

Learning objectives

• Understand polypharmacy and be able to explain why it is relevant to dental practices.

• Recognise the common oral health effects associated with polypharmacy, including xerostomia, caries risk and periodontal implications.

• Apply preventive strategies and advice for patients affected by polypharmacy.

GDC Development Outcome: C

Continuous advancements in medicine have completely reshaped the management of chronic disease. These have enabled patients to live longer, higher quality lives, despite the complex health conditions they live with, primarily through the support of ongoing pharmacological treatment. With the development of such a vast array of pharmaceutical treatments, patients taking multiple medications – known as polypharmacy – has become an increasingly common issue in healthcare.

Systemic considerations must be in place when managing patients taking multiple medications, and one consideration in particular is the implications of polypharmacy on dentistry, where the effects of medication use can influence many aspects of oral health and care, including disease risk, treatment outcomes, and long-term health and maintenance.ii

Affected patients

Polypharmacy is most commonly defined as the regular use of five or more medications taken concurrently. Though the definition is numerical, the main significance is that of the cumulative physiological effects that the multiple drugs have rather than the specific number prescribed.iii Within the field of dentistry, polypharmacy can be particularly relevant when two or more medications demonstrate similar side-effects or have a way of interacting that increase different oral health risks.iv Taking various medications is most prevalent among older adults as they tend to have a larger range of health complications than other age groups.v However, it is far from confined to this population as patients of all ages might be prescribed various medications concurrently. This could include a combination of

pharmaceuticals for mental health disorders, autoimmune conditions, and any number of other illness or diseases.

For dental professionals, it is important to recognise the various oral health consequences of polypharmacy and support patients of all ages with effective, preventive care and advice. By understanding the underlying mechanisms and identifying patients at increased risk, offering strategies and assistance can support every patient’s long-term oral health.

Of course, most of the research focuses on older adults, but the management approach should be the same for all patients, regardless of age. Clinicians should assess a patient’s wider medical history which should help formulate an oral health risk assessment, preventive planning, and necessary treatment plan.

Salivary dysfunction

One of the most frequently reported oral side-effects associated with polypharmacy is xerostomia. An incredibly vast range

of commonly prescribed medications, including antidepressants, antipsychotics, antihistamines, and opioid analgesics, are evidenced to either reduce salivary flow or alter saliva composition.vi One study on subjects aged 20-80 years old found that the prevalence of the perceived symptoms of dry mouth was 17% in those taking no medication, 33.5% in patients taking 3 medications and 67% with the use of more than or equal to 7 medications.vii

Xerostomia is important to consider with each medication-taking patient, those taking several xerogenic medications concurrently must be attentively observed as the risk for salivary dysfunction increases. Saliva plays a vital role in the maintenance of oral health by mechanically removing excess debris and plaque, buffering acids, and supporting remineralisation.viii Consequently, the reduction of saliva production compromises these critical mechanisms, augmenting vulnerability to oral disease.

Furthermore, quality of life and oral hygiene routines can suffer as a result, due to living with

Up on CPD

issues like persistent dryness, altered taste, and discomfort in speaking and masticating –each of which contribute towards a diminished satisfaction with everyday living.

Caries and periodontal risk

Often when patients are experiencing xerostomia, they may attempt to self-soothe by sucking lozenges, boiled sweets, or mints, without realising the consequences of their sugar content.ix Without appropriate preventive guidance, these “self-remedies” can cause significant dental caries in combination with xerostomia.

Periodontal health may also be affected by polypharmacy as certain medications can cause gingival inflammation, potentially exacerbating plaque-induced disease.x When these issues are combined with challenges such as limited manual dexterity, cognitive impairment, or any other implication of disease which may be suffered by patients taking multiple medications, effective plaque control can become most difficult.

Preventive strategies

Managing the various oral health consequences of polypharmacy requires a proactive approach that is of course, based on the risks and variations of each patient. Preventive strategies always offer the best options and results, and should be regularly reviewed as medical assessments and medication prescriptions evolve. One of the most critical preventive methods is effective daily plaque control, which is particularly important for patients with compromised salivary protection.

High-fluoride toothpaste or professionally applied topical fluoride can be one measure recommended to patients with a notable

caries risk, with comprehensive advice of their benefits given to all.xi Additionally, advice on hydration, reduced sugar intake – by opting for sugar-free alternatives – and ensuring the patient has a robust oral hygiene routine, including interdental cleaning, are important.

Regular, thorough brushing remains vital, but another unmissable element of the oral hygiene routine is interdental cleaning. However, the complex issues and needs experienced by some patients taking various medications can make compliance challenging. As such, dental professionals have a duty to provide clear and patient-specific instructions, ensuring that recommended interdental aids are appropriate for the patient’s oral anatomy, dexterity, and ability to maintain a consistent routine. Simplifying oral hygiene advice and focusing on achievable behaviours can significantly improve long-term compliance.xii

Applying the best preventive care

One excellent method of interdental cleaning is by using the TANDEX interdental bushes and complimentary PREVENT Gel. Designed for the most ergonomic and thorough clean, even with limited dexterity, the brushes come in 11 different sizes with an extendable cap feature – targeting even the hardest-to-reach areas. The gel is formulated with the effective combination of 900 ppm fluoride and 0.12% chlorhexidine that strengthens the enamel with an additional antibacterial effect to maintain a healthy smile.

To answer the questions below, visit cpd.the-probe.co.uk and register/log in. Click on ‘Courses’. Search for the course with the same headline as the corresponding article.

CPD questions – Polypharmacy and Oral Health

1. What is the most widely accepted definition of polypharmacy in healthcare?

a. Use of less than three medications

b. Regular use of five or more medications concurrently

c. Use of only prescription medications

d. Long-term use of steroids

2. According to the article, which oral condition is most closely associated with patients taking multiple medications?

a. Ulcers

b. Bruxism

c. Xerostomia

d. Burning mouth syndrome

3. Reduced salivary flow increases oral disease risk primarily because saliva normally:

a. Limits antimicrobial peptides in high concentrations

b. Buffers acids and supports remineralisation

c. Demineralises enamel

d. Inhibits all bacterial growth

Supporting patients continuously

As polypharmacy continues to become more common – particularly in, but not limited to, older patients – in modern healthcare, it posits a growing challenge for dental care and preventive dentistry. With its effects on salivary function, periodontal health, and quality of life as a whole, meticulous assessment is required, which must be monitored as prescriptions change. Despite the great focus on elderly patients, the consequences of polypharmacy can affect everyone. Implementing tailored, evidencebased, preventive strategies offers the crucial support that these patients require in supporting their long-term oral health.

For more information on Tandex’s range of products, visit https://tandex.dk/ Our products are also available from DHB Oral Healthcare https://dhb.co.uk/ Find out more the exciting TANDEX competition that offers the chance of winning a FREE Educator Kit!

Enter the quiz by following this link https://form1.tandex.de/ n

References available upon request

About the author Jacob Watwood on behalf of Tandex.

4. Patients suffering from xerostomia may compensate by consuming sugary lozenges, which could contribute to:

a. Reduced gingival inflammation

b. Increased caries risk

c. Snoring

d. Tooth whitening

5. When advising patients affected by polypharmacy, dental professionals should:

a. Recommend only manual toothbrushing

b. Offer solely restorative treatment and not preventive care

c. Provide tailored interdental cleaning advice appropriate to patient needs

d. Not ask about their medication history

6. Which of the following has the combined effect of supporting fluoride uptake and providing antibacterial action?

a. Non-fluoride toothpaste

b. Interdental brushes without gel

c. TANDEX PREVENT Gel combined with interdental brushes

d. Brushing teeth with water

The intersection between diabetes and oral health

Learning objectives

• To understand the relationship between diabetes mellitus and oral health

• To recognise how inflammation influences periodontal and caries risk

• To apply tailored, preventive oral health strategies for patients living with diabetes

GDC Development Outcome: C

Diabetes mellitus (diabetes) is a chronic metabolic condition that affects approximately 5.8 million people across the UK.i The disorder is associated with a range of systemic effects, making ongoing medical management and lifestyle adaptation integral for long-term health.

Assisting long-term oral health

The intersection between diabetes and oral health has been well established for some time, and as prevalence continues to grow, dental professionals are encountering more patients with diabetes every day. As the oral cavity is sensitive to changes in glycaemic

control, immune function, and inflammatory response, patients with diabetes are at an increased risk of periodontal disease and dental caries.iii

Clinicians have a duty to constantly inform patients of the various implications, support with preventive dental care, and advise on the best routines. This is all critical for longterm oral health – especially for patients to retain their natural dentition.

Diabetes and dental health

Diabetes mellitus is distinguished by impaired glucose regulation, resulting in chronic hyperglycaemia.ii It comprises a range of conditions, including type 1

diabetes (made up of around 8% of diabetic individuals), type 2 diabetes (90%), and other less common forms (2%).i While there are, of course, differences between diabetes types, the oral health implications are mainly linked to the same changes in immune response, inflammation, and more.iii

From a dental perspective, diabetes is far from a one-time topic of conversation, but must be monitored and enquired about over

time – particularly in reference to the level of glycaemic control longitudinally.iv Poorly controlled diabetes – for many reasons –is heavily associated with an increase in systemic inflammation, and therefore in the mouth too.v Furthermore, when diabetes is not managed properly, the host defence mechanisms work defectively, subsequently increasing susceptibility to oral disease. Though this is more prevalent in poorly managed diabetes, even good management of the condition requires consideration, assessment, and preventive planning.vi Additionally, many diabetic patients also manage additional long-term conditions and medication protocols as it is rarely an isolated condition, specifically 57 other diseases. vii This further jeopardises

oral health, emphasising the need for a tailored, preventive, and well-monitored care approach.

Periodontal health impact

The connection between diabetes and periodontal disease is well-researched and understood. Chronic hyperglycaemia (high blood sugar) has been evidenced to impact periodontal tissue in various ways such as diminished immune function, increased inflammatory mediator production, and compromised healing.viii,ix

A preventive approach is necessary with periodontal disease in patients with diabetes. It is unlikely to be isolated to oral inflammation, but rather a vaster inflammatory complication. By

recognising this early, monitoring it often, and supporting patients, it could have a positive impact on their overall health –and, of course, their oral health.

Challenges for diabetic patients

Patients living with diabetes require a number of intense daily self-management tasks, including taking medication, blood glucose monitoring, dietary planning and recording, and more.x The continuous daily burden can mean that other sectors of life, hygiene, and health can become deprioritised, particularly that of oral health – which many patients often don’t know will have serious consequences.

Furthermore, due to the association that diabetes has with other health

complications, challenges like limited dexterity or musculoskeletal issues can make the removal of plaque difficult. Motivation and consistency are another area of oral health that often suffer, especially when patients believe that the oral health advice they are receiving feels complex, time-consuming, or overwhelming.x

Dental professionals should therefore recognise these difficulties early, introducing supportive conversation and advice that is achievable, and tailored to the wider health demands of diabetic patients.

Preventive strategies

Preventive care for patients with diabetes is crucial. It should also be monitored regularly for new risks or changes. The most proactive method of care is plaque control, tailored and guided by professionals to ensure maximum effectiveness for each patient. As diabetes is associated with an increased inflammatory response, even minor plaque reduction can offer a noticeable and measurable clinical benefit.

One of the best methods of supporting periodontal health is through interdental cleaning. Despite the proven results and growing awareness of the importance of interdental hygiene, many patients still fail to partake. A plethora of reasons can influence the lack of interdental brushing –from dexterity challenges to busy schedules – meaning that support is vital. Dental

professionals are in the unique position to assist all patients in improving their oral hygiene routines, and can recommend the appropriate tools for the job based on each respective patient’s anatomy, dexterity, ability to maintain a routine, and more. High-fluoride toothpaste or mouthwash can be a daily support for patients. They offer a rapid solution that is easy to integrate into existing routines. Additionally, professional topical fluoride might be appropriate where caries risk is elevated. General advice on managing other issues like xerostomia is also important for preventive care.

As diabetic patients’ medical circumstances and lifestyles can vary, regular maintenance appointments allow for reinforcement of oral hygiene advice, monitoring of periodontal status, and timely intervention where disease progression is detected. Shorter recall intervals may be indicated for patients with higher risk profiles.

The best preventive approach

One of the most effective products for oral care – particularly for patients requiring a simple, efficient, and effective addition to their routine – is the WASH & PREVENT from TANDEX. With a combination of 226 ppm fluoride and 0.12% chlorhexidine, the product delivers remarkable enamel strengthening and an additional antibacterial effect. Supporting a more thorough clean, the mouth rinse reaches the hardest-to-reach spots – offering an easy addition to oral hygiene routines, supporting both compliance and oral health. WASH & PREVENT is also alcohol-free, and comes with a smart dose cap – facilitating everyday use.

To answer the questions below, visit cpd.the-probe.co.uk and register/log in.

Click on ‘Courses’.

Search for the course with the same headline as the corresponding article.

Supporting long-term health

Diabetes is a complex, chronic condition, with significant implications for systemic health. One area that specifically suffers in diabetic patients is oral health, as the condition affects everything from inflammatory response to host defence mechanisms – increasing the risk of periodontal disease and caries. As it grows in prevalence, diabetes must be supported by dental professionals meaning that preventive, tailored support, and a continuum of advice and monitoring is necessary.

With the correct assistance, the dental team can contribute to long-term oral and general health outcomes, as well as an increased quality of life for diabetic patients.

For more information on Tandex’s range of products,visit https://tandex.dk/

Our products are also available from DHB Oral Healthcare https://dhb.co.uk/

Find out more the exciting TANDEX competition that offers the chance of winning a FREE Educator Kit!

Enter the quiz by following this link https:// form1.tandex.de/ n

References available upon request

CPD questions – The intersection between diabetes and oral health

1. Which mechanism links diabetes mellitus to periodontal disease?

a. Reduced calcium absorption

b. Chronic hyperglycaemia

c. Increased salivary flow

d. Enhanced immune defence

2. Why is glycaemic control important when assessing oral health in patients with diabetes?

a. It reduces their blood sugar

b. It only influences plaque composition

c. Poor control increases inflammation

d. It removes the need for preventive dental care

3. Why might oral hygiene be deprioritised in patients living with diabetes?

a. Oral disease risk is lower in diabetic patients

b. Diabetes management adds daily demands on patients

c. Dental care is contraindicated in diabetes

d. Oral hygiene products are ineffective in diabetic patients

4. Which preventive strategy is most appropriate for supporting periodontal health in patients with diabetes?

a. Emergency-only dental attendance

b. Irregular oral hygiene appointments

c. Tailored plaque control and regular monitoring

d. Avoidance of interdental cleaning

5. Why can simplified oral hygiene advice improve patient compliance?

a. It reduces the need for professional care

b. It removes the need for daily oral hygiene

c. It focuses on achievable behaviours within existing routines

d. It replaces preventive dental appointments

6. Which factor may further increase oral health risk in patients with diabetes?

a. Reduced frequency of medication use

b. Polypharmacy and medication side-effects

c. Improved wound healing

d. Decreased inflammatory response

About the author Jacob Watwood on behalf of Tandex.

TANDEX FLEXI and TANDEX PREVENT Gel

TANDEX FLEXI is a specially designed interdental brush with an ergonomic grip. The flexible grip makes it easy to reach for all patients even interdental spaces in the back of the mouth.

TANDEX FLEXI gives an e cient and gentle treatment for both teeth and gums. It includes 11 di erent sizes so there are brushes to suit small interdental spaces or more complex bridge and implant spaces. Your dentist or dental hygienist will help you find a size that is right for you.

TANDEX PREVENT Gel is a specially developed gel with 900 ppm fluoride and 0.12% chlorhexidine. Strengthens enamel and protects against plaque and cavities. It provides e ective cleaning between the teeth. An antibacterial gel designed especially for use with interdental/gum brushes.

Smarter tools for better decontamination

Like all processes in the dental practice, any opportunity to automate, streamline and standardise procedures should be taken. Not only does this maintain highquality workflows and excellent patient care, but it also saves the business significant time and money. Achieving this optimal level of efficiency requires effective planning, wellrounded team training and smart equipment implemented across the practice.

A prime opportunity for efficiency

The decontamination workflow presents a prime opportunity to utilise modern technology as a way of simplifying the team’s tasks, while also elevating both patient and professional safety. Maintaining infection control and prevention protocols is a crucial yet often thankless task for professionals, who must comply with strict regulations while facing time pressures in the dental practice every day. This must also be balanced with time spent interacting with and supporting patients. As such, the more minutes saved during the decontamination process –without compromising quality or safety – the better and less rushed patient care can be.

Team training

One way for the team to better cope with these challenges is to be confident in their roles. Ongoing training is essential to keep their knowledge and skills up-to-date and in line with the latest professional guidelines and recommendations. Whether this is provided

A gold-standard

Several technologies are utilised as part of the dental decontamination workflow today. The autoclave, for example, is the workhorse of every practice, consistently ensuring the sterilisation of reusable instruments. The solutions on the market today afford greater efficiency than they once did, with options like automatic data loggers removing a step for professionals and simplifying their to-do list.

in-house or by an external source, it should be revisited on at least an annual basis to make sure all relevant members of the team understand their responsibilities. When they are confident in their skills and appreciate the importance of not cutting corners, higher decontamination standards can more consistently be achieved.

The other piece of equipment at the heart of health and safety in the dental practice, is the washer disinfector. Mandatory in Scotland under SHTM 01-05, the solution is considered best practice in England and Wales by HTM 01-05. Consequently, the washer disinfector will feature in every dental practice in the UK that strives to achieve Best Practice in patient safety and care.

The equipment elevates the quality of decontamination in a number of ways. It is superior to hand washing instruments because it affords an automated and validated workflow – a manual process could never be performed in exactly the same way twice in a row, unlike two cycles in the washer disinfector. This gives confidence that instruments are sufficiently cleaned and disinfected in preparation for sterilisation. It also provides a data trail that can be used as evidence of the practice’s compliance during an inspection or audit. Furthermore, the implementation of features like hands-free instrument trays removes the manual interaction with instruments, reducing the risk of needle stick injuries among staff too.

Save time and money

Beyond achieving validated standards of instrument cleaning, the humble washer disinfector also saves the team time. The minutes that would otherwise have been spent washing instruments by hand after every appointment are eliminated – and can be better spent with patients.

In an environment where time equals money, this is also a positive for the business’s profitability. The bottom line is optimised by the increase in productivity that is made possible with dependable automation. Leading brands of washer disinfectors can accommodate up to 360 instruments per cycle, offering a fast and efficient solution to cater for the needs of even the largest and busiest of practices.

The new Miele PWD 8682 underbench washer disinfector from Eschmann also performs heavy-duty cleaning, disinfection and drying in under an hour for this number of instruments, taking productivity and workflow efficiency to the max. When you combine this with the Eschmann Care & Cover servicing and maintenance package, you can rest assured that your equipment will be expertly tested, maintained and validated. Not only does it help you to meet the regulations, but it also minimises the risk of equipment malfunctions or downtime, optimises product life and includes annual ECPD staff training for maximum return on your investment.

Work smarter not harder

Life in a dental practice is busy enough without adding manual tasks that can be more efficiently, more consistently and more safely performed by the right equipment. Instrument decontamination is a crucial daily workflow and the washer disinfector is the ideal candidate to perform a streamlined and validated job.

For more information on the highly effective and affordable range of decontamination solutions available from Eschmann, please visit www. eschmann.co.uk or call 01903 753322 n

References available upon request

ABOUT THE AUTHOR

NICKY VARNEY,

Nicky Varney, Head of Marketing at Eschmann Technologies Ltd.

Smarter business data management

The dental industry is constantly increasing in pace – in every aspect. From clinical work to clerical tasks, patient experience workflows to finances and more, the pressures that professionals are facing continuously accumulate. Balancing high-quality clinical care with the business’ increasingly complex expectations is a tricky task at the best of times, notwithstanding when other issues arise.

With such a vast number of elements constantly in consideration, one aspect of particular and growing importance is the ability to ensure the tracking of practice data. Whilst some practices adequately collect and monitor these figures, the best ones surpass this by utilising such statistics to make informed decisions that improve practice workflows and outcomes.

Why data matters in dentistry

Running a dental practice requires an astute conjunction between clinical proficiency and entrepreneurial skill. Hence, success within this role requires the maintenance of patient satisfaction, financial organisation, the consistent adherence to regulations, and ensuring staff fulfilment through broader measures. At the very core of coordinating each of these practice elements is the fact-based findings – statistics.

The accurate and judicious analysis of data ensures consistently strong understandings of practice performance and finances, whilst enabling the monitoring and evaluation of further fundamental insights. Not only does this help to comprehend practice performance, but it also assists in identifying where improvements must be made. Without quantitative evidence, practice managers and owners must navigate decisions and improvements speculatively – which can directly impact practice advancement.

Regardless of short- and long-term goals, there are certain common statistical elements that many practices will find useful to consider.

Chair time and efficiency

The analysis of chair time means far more than understanding patient experience, and results in much more than patient satisfaction. The data –including patient turnaround and appointment length per specific procedure – can allow practices to gain a greater scope on productivity by identifying inefficiencies. The optimisation of such means increased patient satisfaction and more streamlined workflows.

Tracking patient flow

Firstly, tracking patient encounters is integral –practices need a reliable data source to quantify the number of patients being seen within particular time frames, how often patients are being seen, and the context of visits. Truly understanding this information assists in recognising demand patterns, optimising appointments and schedules, and subsequently evaluating whether the demand and capacity are accordant.

Finances

Financial management reinforces the maintenance of every practice. In order to gain clarity on profit, revenue, outgoings, and more, all must be continuously tracked. By accessing clear financial figures, practices can assess the importance and necessity of respective expenses, making amendments to such and exploring different expenditure options. Through the meticulous assessment of a practice’s figures, the future of the business is more secure, with supported investment decisions, tax-compliance, budget navigation, and more.

NHS care

Many practices deliver NHS services. Hence, activity must be consistently monitored to ensure that contractual expectations are adhered to. Inadequacy could lead to claw back, whilst excess in treatment means that clinicians are working underfunded. When supported with accurate data, the practice can plan better and protect finances and precious time.

Specific treatments

For practices that have specific treatment areas which they might plan to develop further – such as implantology, cosmetic dentistry, or endodontics – marketing analytics should be scrutinised. Tracking such data allows practices to cognise the success of marketing campaigns, understand customer behaviours, improve future strategies, and establish the return on investment. All of this can assist in achieving a competitive edge in each respective field. These analytics can be utilised in specific departments or for the practice overall.

The risks of poor data supervision

When practices rely on their own organisation systems, there are inevitably greater potential data security risks, primarily due to human error. Furthermore, the ill-keeping and utilisation of one’s figures means restricted practice growth, unidentified inefficiencies and issues, and

subsequently reduced patient satisfaction – all due to the lack of informed evaluation.

Digitalising your workflow with cloud-based platforms can alleviate lots of the stresses and risks associated with data management. Sensei Cloud from Sensei, the practice and patient management brand of Carestream Dental, transforms practice’s management of business stats, offering security, consistency, and ultimate peace-of-mind. Designed by dental professionals for dental teams, the system allows practices to take control of their performance. From managing contracts to simplified reporting systems, tracking revenue streams to maximising practice efficiency, the Sensei Cloud offers multiple advancements through the monitoring of data. The platform collates actionable information – a centralised solution for confidence and progression within your business.

Future-proofing your practice with data management

Successful practices require a compound of both clinical excellence and great business results. Remaining informed on fundamental figures – such as patients’ statistics, treatment types figures, finances, and more – is essential for such. Not only does having direct and easy access to this data reduce workload, but is also vital for making informed decisions and advancing the future of your practice.

The advantages of using digital cloud-based systems ultimately surpass all other methods of analysis. Rather than setting assumption-based goals, real-time performance data means actual results and substantial improvements.

For more information on Sensei Cloud visit https://gosensei.co.uk/

For the latest news and updates, follow us on Facebook and Instagram @carestreamdental.uk n

ABOUT THE AUTHOR

Claire McCarthy, Senior Director of Program & Process Excellence at Carestream Dental.

Rethinking early caries

Performance, patients and practice

As clinicians, we are trained to diagnose, treat and restore. But what if we could intervene earlier, before disease fully establishes itself, and fundamentally change the trajectory of oral health for our patients?

That is the focus of my session at this year’s British Dental Conference & Dentistry Show (BDCDS), where I will be exploring how regenerative, microinvasive approaches are beginning to reshape the way we manage early caries in everyday practice.

A growing clinical challenge

In my own clinics in Twickenham and Hampton, I treat a broad patient base, from general patients through to high-performance athletes. Across both groups, one trend is becoming increasingly clear: we are seeing higher caries risk often driven by modern lifestyle factors.

This is particularly evident in elite athletes. Many rely on high-carbohydrate diets, energy drinks and supplements to sustain performance. While essential for their training, these habits create an oral environment that significantly increases caries risk. Combine this with inconsistent access to routine dental care or preventative education, and the result is a cohort of patients highly susceptible to early-stage disease.

However, this is not just a challenge for athletes. The wider population, particularly younger patients, is also exposed to frequent sugar intake. As a profession, we are increasingly managing the consequences of these behaviours.

Moving beyond ‘monitor or restore’

Traditionally, early lesions have presented us with a dilemma: monitor and wait, or intervene restoratively once cavitation occurs. Neither option is ideal. Waiting allows disease progression, while early restoration initiates a lifelong cycle of intervention.

What excites me about newer technologies such as Curodont™ Repair is that they offer a third pathway, one that aligns far more closely with minimally invasive dentistry.

Rather than waiting for breakdown, we now have the ability to intervene at an earlier stage and support the natural regenerative processes of the tooth. This represents a significant shift in how we think about caries management: not as a reactive process, but as a proactive one.

Regenerating practice

The science behind this approach is both elegant and clinically practical. Using a biomimetic peptide, the treatment infiltrates early enamel lesions and creates a scaffold that attracts calcium and phosphate ions from saliva. This enables the tooth to regenerate from within, effectively reversing the loss of enamel minerals.

Don’t miss Dr Mide Oje’s talk on ‘Regenerative Dentistry for Elite Athletes: Managing Early Enamel Lesions Beyond Fluoride and Fillings’ at the British Dental Conference & Dentistry Show on Friday, 15th May at 11.15am at the Clinical Excellence Theatre. Visit birmingham.dentistryshow.co.uk for further information and to register for free.

From a clinical perspective, the benefits are clear: Treatment is non-invasive, it is quick to deliver within a standard appointment, it preserves natural tooth structure and reduces the need for future restorative intervention. Clinical studies have shown that treating early caries with a biomimetic peptide reduces the likelihood of cavities forming by over 90%.1

Perhaps most importantly, it changes the conversation with patients. When you can show a patient an early lesion and explain that it can be reversed, rather than drilled, the response is overwhelmingly positive. Patients feel empowered, reassured and more engaged in their care.

The role of modern diagnostics

Of course, early intervention depends on early detection. Advances in diagnostic technology are playing a crucial role here.

While traditional tools such as radiographs and clinical examination remain essential, we now have access to enhanced diagnostics, including AI-supported imaging and intraoral scanning. These technologies allow us to identify lesions at a much earlier stage, often before they are clinically obvious.

Combined with good illumination and magnification, they provide a far more detailed understanding of enamel integrity and caries progression. This allows for earlier, more targeted intervention and ultimately better outcomes.

A solution for the whole team

One of the aspects I am particularly passionate about is how these approaches can be integrated across the wider dental team.

As a general dentist working full-time in practice, I am always focused on solutions that are practical and scalable. What I have found is that regenerative treatments can be effectively delivered not just by dentists, but also by dental therapists and hygienists, expanding their scope of care within the practice.

This not only improves efficiency but also supports a more collaborative, team-led approach to patient care, something that will be increasingly important as we look to the future of the profession.

Elite sport to everyday dentistry

While my experience with athletes has highlighted the impact of early caries in a high-risk group, the principles I will be discussing are applicable to all clinicians.

Whether you are treating a professional footballer or a teenage patient with a high-sugar diet, the underlying challenge is the same: how do we prevent disease progression while preserving tooth structure?

Biomimetic regenerative approaches provide a compelling answer. They allow us to intervene earlier, treat more conservatively and deliver care that aligns with both clinical best practice and patient expectations.

Looking ahead

At this year’s British Dental Conference & Dentistry Show, I hope to share practical insights from my own clinical experience, what works, how it integrates into daily workflows, and how clinicians can begin to adopt biomimetic peptide-based regenerative approaches within their own practices. By embracing early intervention and regenerative solutions, we have an opportunity to improve outcomes for our patients and redefine the future of caries management. I look forward to continuing that conversation with colleagues in Birmingham. n

Reference

1. Godenzi D et al. J Am Dent Assoc. 2023: S00028177(23)00416-6.

ABOUT THE AUTHOR

DR MIDE OJO

Dr Mide Ojo is a principal dentist and cosmetic dentist based in Twickenham and Hampton, with a special interest in minimally invasive dentistry and experience working with high-performance athletes

Shape the future of dentistry

The British Dental Conference & Dentistry Show is the event where over 10,000 dental professionals meet to shape the future of dentistry. With 400+ exhibitors, 11 theatres, 200+ expert speakers and 150+ hours of free Enhanced CPD, this is the place to unite with your dental community. Embrace new ideas, explore the innovations of tomorrow and take your practice to the next level.

THE DENTAL AWARDS

Introducing The Dental Awards 2026 judging panel

Meet the extraordinary line up of industry professionals that form the judging panel for this year’s Dental Awards

Stephan Avetoom - Chairman, CDTA

Alongside clinical practice, Stephan became increasingly aware of the lack of recognition and representation for Clinical Dental Technicians (CDTs(). Working with a group of like-minded colleagues, he revived the dormant Clinical Dental Technicians Association (CDTA), establishing a modern constitution and clear strategic aims.

Today, the CDTA is recognised as a stakeholder by the GDC and Government, and continues to advocate for an expanded Scope of Practice and stronger integration of CDTs within the wider dental team, particularly within the NHS.

Lisa Bainham – President, Assoc. of Dental Administrators and Managers (ADAM).

Lisa originally trained to be a dental nurse at North Staffordshire Hospital and qualified in 1994. Originally working in an orthodontic practice, she then developed an interest in practice management and came to join Steve Lomas, as the practice manager at The Old Surgery, Crewe, when the practice opened in 1998. She has a true insider’s knowledge of what it takes to be a Dental Awards winner, having won the Practice Manager of the Year category in 2016. Lisa became President of ADAM, which has over 500 members throughout the UK, at the end of 2016.

Debbie Hemington – President, British Association of Dental Therapists

Debbie is President of the British Association of Dental Therapists, and works to support and represent current and future dental therapists.

Preetee Hylton – President, The British Association of Dental Nurses

Preetee works full-time as a dental nurse and safeguarding lead at a private dental practice in London. She is actively involved in education and training as she delivers the NCFE CACHE Level 3 Diploma in Principles and Practice in Dental Nursing. Additionally, she serves as an Associate Examiner for the National Examining Board for Dental Nurses (NEBDN). She is also an honorary ambassador for the Mouth Cancer Foundation. Preetee’s contributions to the dental community extend beyond her work – she is an editorial board member of the Dental Nursing Journal and regularly authors articles.

Rhiannon F Jones – President, British Society of Dental Hygiene & Therapy

Rhiannon has been a dental clinician for over 25 years and is currently the President of the British Society for Dental Hygiene and Therapy. She works clinically as a dental hygienist and dental therapist and has worked in hospitals and general practice as well as a clinical lecturer on a dental hygiene and therapy course.

Rhiannon was elected as BSDHT’s President-Elect at the AGM in November 2022 and began her twoyear term serving as President in November 2024.

Paroo Mistry – Member of The Probe‘s editorial board.

Paroo is a Consultant Orthodontist. She divides her time between Chase Farm Hospital and her private practice in North London. Paroo has been a judge on the Dental Awards since 2008.

James Neilson - President of the British Association of Clinical Dental Technology

James is a passionate clinician, technician and educator with over 25 years’ experience. He started his career at a multi-disciplinary laboratory where he became Prosthetics Manager, and later a Director. In 2008 he qualified as a Clinical Dental Technician, since then he has worked in Dorset, the Midlands, Cardiff, and Dundee, alongside running his own Dental Laboratory. He has taught from college to post graduate level and currently works as a Dental Instructor at Dundee University. He also acts as an expert witness, as well as being active across several associations and is current President of the British Association of Clinical Dental Technology.

Tim Newton – President of the Oral Health Foundation

Tim Newton is a Psychologist who has spent over 30 years working in dental settings with the goal of ensuring that everyone has the opportunity to enjoy the benefits of good oral and dental health. He is particularly concerned with addressing the needs of people who are anxious about attending the dentist, and in encouraging dental healthcare professionals to work with patients to develop healthy behaviours. Tim is employed by King’s College London as Professor of Psychology as Applied to Dentistry, spending half his time working as Honorary Consultant Health Psychologist. Tim’s clinical work is focussed on individuals with dental phobia, and support for individual’s facing challenging dental procedures.

Amanda Oakey – Director of Education, British Dental Health Foundation

Leading the educational resources team, Amanda manages all educational resources from the Foundation. This includes marketing and selling existing products as well as purchasing and developing new resources. Amanda executes the creation and implementation of agreed projects is in charge of creating campaign products including National Smile Month and Mouth Cancer Action Month. She also is in charge of distribution of resources along with managing exhibition presentations.

Amit Patel – Specialist in Periodontics & Implant Dentist

Amit is registered with the General Dental Council as a Specialist in Periodontics. Alongside his private practice, he also works as Associate Specialist in Periodontics and

THE DENTAL AWARDS

2026

Honorary Clinical Lecturer at the University of Birmingham Dental School. His special interests are dental implants, regenerative and aesthetic periodontics. Amit graduated in Dentistry from the University of Liverpool in 1997. Following a training post in Restorative Dentistry at the Liverpool Dental School he gained significant experience in Oral and Maxillofacial surgery through 3 prestigious hospital posts. He obtained his Membership of the Faculty of Dental Surgeons at the Royal College of Surgeons in Edinburgh in 2000. This training involved acquisition of the most up-to-date techniques in Periodontics and Implantology under the expert supervision of Professor Richard Palmer who was appointed the first Professor of Implant Dentistry in the United Kingdom. Amit then obtained his Membership in Restorative Dentistry from the Royal College of Surgeons of England and became a registered Specialist in Periodontics.

Dr Davinder Raju – Dove Holistic Dental Centre

Dr Raju gained his dental degree from the University of Liverpool and a Masters in Advanced Minimum Intervention Restorative Dentistry (MSc) from Kings College, London. He developed his interest in sustainable dentistry while he was undertaking his MSc., deciding he wanted his approach to clinical dentistry to be reflected in all aspects of his life. He went on to establish the first fully sustainable practice in the UK, the Dove Holistic Dental Centre in Sussex. In 2021 he launched the Greener Dentistry Global toolkit and accreditation programme to share his knowledge and experience with colleagues wanting to embark on a more sustainable way of working.

Now a recognised authority on sustainable dentistry in general dental practice, Dr Raju has written and lectured widely. He is a contributor to a book aimed at primary care to be published later this year, and he has been nominated for a fellowship of the International College of Dentists.

Amanda Reast – Multi Award-Winning Practice Manager

Amanda is Business Manager at The Dental Architect – Practice of the Year Award winner in 2023.

In 2024, Amanda was recognised as Practice Manager of the Year by The Probe ’s Dental Awards and also at The Private Dentistry Awards, making her a Multi Award Winning Practice Manager.

Rebecca Silver - Treasurer, British Association of Dental Nurses

Rebecca is a multi-award winning dental nurse with almost 15 years of experience working in dentistry. She has worked within the NHS and private dentistry as well as working with numerous dental specialists. She has dental nursing experience in assisting in endodontics, periodontics, oral

surgery, orthodontics, conscious sedation, prosthodontics, implants, facial aesthetics and a range of dental treatment. She has gained post-qualification certificates in Oral Health Education and Dental Nursing Sedation. She obtained fellowship to the British Association of Dental Nurses in 2023.

Anshu Sood – Clinical Practice Director on the Board of the British Orthodontic Society

Anshu, Joint Clinical Director of Helix House Healthcare, is a Specialist Orthodontist and qualified dentist renowned for creating beautiful smiles through tailored treatments, including aligners and fixed braces. Her commitment to excellence is complemented by leadership roles as former Chairperson of the Orthodontic Specialist Group and Clinical Practice Director on the Board of the British Orthodontic Society.

A Key Opinion Leader for Dental Monitoring, Anshu integrates cuttingedge technology into orthodontic care and frequently lectures at national and international conferences.

Beyond her profession, Anshu enjoys international travel, open-water swimming, and scuba diving, reflecting her adventurous and balanced approach to life.

Hugo Sousa - CGDent Faculty Board member

After graduating in Dental Technology from the University of Lisbon and gaining professional experience in Portugal, Hugo moved to England to further develop his clinical and technical expertise, since completing advanced training internationally — including a morphology course at the Osaka Ceramic Training Center and a Master’s degree at Cardiff Metropolitan University. Hugo is currently a PhD candidate at the University of Lisbon, and serves as a tutor at The University of Greater Manchester, Cardiff Metropolitan University, and Egas Moniz School of Health & Science.

Winners

Sustainable and safe sharps management

Initial Medical provides a range of effective solutions for dental practices to ensure their waste workflows are safe and compliant with current regulations.

This includes the environmentally friendly Eco Sharps Bin, which is a sustainable solution made from at least 40% recycled plastic. Designed to be puncture-resistant and seepage-proof, the containers help to prevent injury and contamination.

With the option to be wall-mounted or trolleymounted, the containers can be placed at easy-toaccess spots throughout the practice.

The Eco Sharps Bin is available in a range of colourcoded designs, keeping your practice compliant with NHS guidelines.

You can find out more about the solution and support from Initial Medical by contacting the team.

To find out more, get in touch at 0808 304 7411 or visit the website today www.initial.co.uk/medical.

Orajel® offer patients fast and effective relief from toothache

Orajel® is formulated with benzocaine, a powerful local anaesthetic that is clinically proven to relieve pain in 2 minutes or less.

Recommend Orajel® Dental Gel, which contains 10% w/w benzocaine, for reducing pain associated with a broken tooth or in a tooth that may require a filling. The topical gel puts patients in control over the product, enabling them to apply it right to the source of pain, providing targeted relief.

For severe dental pain, Orajel® Extra Strength contains the maximum level of benzocaine available without prescription in the Orajel® range – 20% w/w benzocaine.

Please contact the Orajel® team for more information about the full range.

For essential information, and to see the full range of Orajel products, please visit https://www.orajelhcp.co.uk/.

orajelhcp.co.uk

Consistently great results – FLEXI interdental brushes from TANDEX

The FLEXI interdental brushes from TANDEX are designed to effectively remove the build-up of plaque in the hardest-to-reach areas – between teeth.

With a flexible, easy-grip handle and colourcoded sizing, FLEXI is made with ergonomics at the forefront of design – allowing patients to create a feasible daily oral hygiene routine, tailored to them.

The soft, yet effective bristles permit controlled cleaning without impacting the enamel or gingiva, making the FLEXI brushes perfect for all – including orthodontic patients and those with implants or bridges.

The thorough clean supports improved gum health, reducing inflammation and delivering

Highly recommended once again

Dr Sam Odai was introduced to Dental Elite through a recommendation from a colleague. He reflects on his experience of working with them to sell his practice:

“My experience with Dental Elite was excellent. They offered the details of potential buyers promptly, and provided much valuable assistance throughout the sale journey.

“In particular, I would like to thank Julie Randle for her support and help during the sales, it is much appreciated. I would highly recommend Dental Elite to others.”

Dental Elite has established dedicated teams of professionals to support each stage of a practice sale, ensuring unmatched expertise every step of the way.

safe, long-term outcomes.

Take your patients’ oral hygiene routines one step further – contact the TANDEX team today!

For more information on Tandex’s range of products, visit https://tandex.dk/

For product samples and orders, please contact DHB Oral Healthcare https://dhb.co.uk/.

For information on how they could help get you over the finish line, contact the team today.

For more information on Dental Elite visit www.dentalelite.co.uk, email info@dentalelite.co.uk or call 01788 545 900.

dentalelite.co.uk

Compact care with the Waterpik™ Cordless Pulse

In a sleek, portable design, the Cordless Pulse water flosser from Waterpik™ contains clinically proven technology to support your patients’ oral healthcare.

Featuring two pressure settings and two flossing tips to ensure a deep, comfortable clean, the Cordless Pulse is up to 2x as effective as string floss for removing bacterial plaque and improving gingival health.

Patients can effectively dislodge debris from interdental spaces where traditional brushing alone cannot reach. In fact, the Cordless Pulse removes up to 99.9% of plaque and bacteria from treated areas in as little as three seconds.

Find out more about the Waterpik™ Cordless Pulse water flosser when you contact the team today.

For more information on WaterpikTM water flosser products visit www.waterpik.co.uk. WaterpikTM products are available from Amazon, Costco UK, Argos, Boots and Tesco online and in stores across the UK and Ireland.

Patient-focused care

For dentists who value patient comfort combined with clinical effectiveness, the 3M™ Clinpro™ Clear Fluoride Treatment from Solventum, formerly known as 3M Health Care, is a key aid for everyday care.

A water-based, rosin-free formula provides reliable protection for enamel and dentine surfaces, while ensuring a smoother, more pleasant experience for patients. With a minimum contact time of just 15 minutes, the treatment offers effective fluoride uptake comparable to or greater than traditional 5% varnishes, but with a lower dosage.

Clinpro™ Clear Fluoride Treatment is available in mint, watermelon, and flavourless options, gliding easily onto teeth and leaving no lingering taste or texture, maximising patient comfort.

Its innovative L-Pop™ single-dose delivery system simplifies application for dental professionals, reducing chairside time and enhancing efficiency. Invest in a quality product which maximises patient-focused care, and combines science, safety, and comfort in the modern dental practice by choosing 3M™ Clinpro™ Clear Fluoride Treatment from Solventum today.

For more updates on trends, information and events follow us on Instagram at @solventumdentalUK and @solventumorthodonticsemea

solventum.com/en-gb/home/oral-care/

waterpik.co.uk

Say hello to an evolution in ultrasonic and powder therapy.

Gentle yet powerful, reliable and exceptionally durable, Varios Combi Pro2 has a host of advanced features designed to improve efficiency, control and enhance patient comfort.

Engineered with meticulous attention to detail, Varios Combi Pro2 is an investment in clinical excellence and in the health of your patients.

Varios Combi Pro2

Turn static files into dynamic content formats.

Create a flipbook