
FACULTAD DE CIENCIAS EXACTAS Y NATURALES
Materia: Parasitología
Semestre: Tercero
Informe de Colección de nematodos en suelo
Alejandro Carrera
15/01/2026
INTRODUCCIÓN
Los nematodos de suelo y plantas son organismos microscópicos que viven en varios ecosistemas terrestres y acuáticos, con una longitud normalmente menor a 1 mm.
Podemos clasificarlos en nematodos de vida libre que cumplen funciones en el ecosistema como la descomposición de materia orgánica y el reciclaje de nutrientes favoreciendo a la tierra, y fitonemátodos que poseen una estructura en su cabeza llamado estilete usado para penetrar y obtener alimento de las plantas. Los géneros más conocidos que atacan a las plantas son Meloidogyne, Heterodera y Pratylenchus, estos son un problema agrícola importante ya que cauan deformaciones en las raíces, disminuyen la absorción de agua y nutrientes, y provocan síntomas visibles como hojas de color amarillo, marchitez y menor crecimiento. Su distribución es cosmopolita y atacan cultivos importantes económicamente como el tomate, papa, banano, café y cereales, provocando grandes pérdidas en la producción agrícola. El manejo de estos organismos se basa en estrategias conjuntas, en concreto prácticas culturales como la rotación de cultivos y la solarización del suelo, el uso de agentes biológicos antagonistas como bacterias y hongos con el fin de reducir su impacto en el medioambiente y en lo económico (ATTRA, 2019; Wikifarmer, 2023)
OBJETIVOS
Recolectar muestras de suelo dentro de la PUCE mediante excavación para la obtención nemátodos
Construir un embudo de Baerman mediante insumos suministrados en clase para conseguir muestras líquidas
Pescar nematodos en las muestras con el uso de micropipetas para su fijación en placas
Observar e identificar la presencia de nematodos en la muestra usando un microscopio compuesto
METODOLOGÍA
El embudo de Baermann funciona basado en el principio de movilidad. La muestra se coloca en un embudo forrado con un filtro de tela o papel (en el caso de esta práctica se usó papel filtro) y se cierra sellado en la parte inferior. El embudo se debe llenar con agua, sumergiendo la muestra mientras el filtro la separa de la salida sellada. Los nematodos móviles en la muestra se liberan en el agua y nadan a través del filtro y finalmente se asientan en el fondo del embudo. Se abre la salida del embudo y se expulsa una gota de nematodos a una placa (en esta práctica recolectamos más de una gota). (Tintori Sofía et. al, 2022)
Por otro lado, según (Coyne D.L et.al, 2007) el método de la pesca de nemátodos se basa en el uso de distintas herramientas como un alfiler, astillas de bambú, pestañas o, como en el caso de esta práctica, una micropipeta. Se debe colocar la muestra obtenida del embudo en una caja Petri hasta que cubra la superficie, posteriormente se observa la muestra en un estereoscopio y se buscaran los nemátodos a extraer colocando la micropipeta cerca de el mismo y absorbiendo la menor cantidad posible de agua.
Finalmente, para la identificación de nemátodos se realiza colocando el nemátodo extraído en la placa con una gota de formalina, luego cuando la gota esté seca se deberá colocar el portaobjetos y se sellará con esmalte.
RESULTADOS
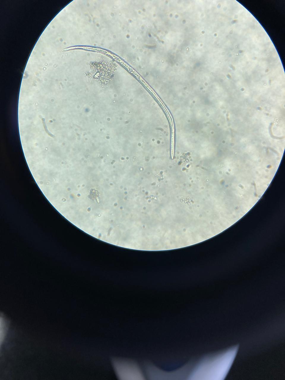
Nemátodo #1

Género: Acrobeloides (Bongers, Tom; Esquivel Alejandro)
Aumento: x40
Tipo: Nemátodo de vida libre
Género: Cephalobus (Bongers, Tom; Esquivel Alejandro)
Aumento: x40


State University s.f)
Aumento: x40
Tipo: Fitonemátodo
Género: Meloidogyne (Mosquera Ana, 2016)
Aumento: x40


Tipo: Nemátodo de vida libre
Género: Rhabditidae (Morera Jessica et. al, 2018)
Aumento: x40
BIBLIOGRAFÍA
Coyne, D.L., Nicol, J.M. and Claudius-Cole, B. 2007. Practical plant nematology: a field and laboratory guide. SP-IPM Secretariat, International Institute of Tropical Agriculture (IITA), Cotonou, Benin.
Eisenback, Jonathan & Hirschmann, H. & Sasser, J. & Triantaphyllou, A.. (1983). Guia para la identificacion de las cuatro especies mas comunes del nematodo agallador (Meloidogyne especies) con una clave pictórica.
Morera, J., Mora-Pineda, G., Esquivel, A., Hanson, P., & Pinto-Tomás, A. (2017). Detection, ultrastucture and phylogeny of Sclerorhabditis neotropicalis (Nematoda: Rhabditidae) nematodes associated with the Azteca ant-Cecropia tree symbiosis. Revista de Biología Tropical, 66(1), 368. https://doi.org/10.15517/rbt.v66i1.26919
Mosquera-Espinosa, Ana. (2016). Plant parasitic nematodes associated with Cyphomandra betacea (Cav.) Sendtn., Solanum quitoense Lam. and Daucus carota L. in Boyacá, Colombia.. 65. 87-97.