Arte boliviano contemporáneo. 3

Page 1

FELIPE GUAMÁN POMA DE AYALA JUAN PABLO ARCE FLORALBA AGUILAR VICTORIA MAMANI MELINA VALENCIA ACHÁ ROBERTO DE LA TORRE GALO COCA YHOMARA MUÑOZ OCTAVIO PAZ ALEJANDRA DELGADO CAMILLE SAINT-SÄENS ROBERTO VALCÁRCEL LUIS GARCÍA MEZA RITA SEGATO SERGIO BASTANI HUGO BANZER JUDITH BUTLER MICHEL FOUCAULT ARIEL TÓRREZ EL CACHAFAZ LUIS FERNANDO CAMACHO VALERIA PAZ TERESA GISBERT KING CRIMSON CHARLES Y RAY EAMES KASPAR FRIEDRICH JUAN FABBRI JULIETA OJEDA LIZ PÉREZ ALDAIR INDRA CORONADO NICOLÁS COPÉRNICO OLAFUR ELIASSON NORMA MERLO RENÉ POPPE MIGUEL HILARI DAGMAR DUCHÉN YOLANDA MAMANI JAIME ACHOCALLA SERGIO FERNÁNDEZ GASPAR MIGUEL DE BERRÍO LUIS ESPINAL IVÁN CÁCERES ROBERTO SUÁREZ RAQUEL SCHWARTZ LEONARDO GARCÍA PABÓN WALTER BENJAMIN JEANINE ÁÑEZ COLECTIVO CHUNGUNGO ANDREAS SIEKMANN T. GOLDA HAL FOSTER M. FRIEDRICH PEDRO QUEREJAZU A. ROST SERGIO GARECA AFTER CRYING ANISH KAPOOR EDWARD BURTYNSKY RODOLFO ANDAUR BARTOLOMÉ ARZÁNS DE ORSÚA Y VELA JENNIFER BAICHWAL NICHOLAS DE PENCIER GEORGE MACIUNAS FILEMÓN ESCÓBAR MARISABEL VILLAGÓMEZ ANDREI KASHCHA JOY DIVISION VIRREY FRANCISCO DE TOLEDO TONCHY ANTEZANA FERNANDO MONTES VAN DEN BERG LUIS ANTEZANA CRISÓFORO JUÁREZ CARLOS MESA VILLEGAS CAROL GAINSBORG ALEJANDRO FLORES LOURDES REINAGA RAMIRO CUSICANQUI M. ISABEL GÓMEZ ARELY PALABRAL AGUILERA ALEJANDRA DOMIC ROSEMBER HURTADO MÁXIMO LIBERMAN C.S. HARDY BRUNO LATOUR NAYRA ANTEZANA GONZALO SÁNCHEZ DE LOZADA SOL MATEO COLECTIVO DE AGRESIÓN CULTURAL PERRO PETARDOS ANDRÉS BEDOYA NICHOLAS LEPAN JAVIER MATTIO MARIANO MAYER M. C. MOLINA ADRIANA MONTENEGRO OPORTO ELOÍSA PAZ JUAN PABLO PIÑEIRO DOUGLAS RODRIGO RADA SILVIA RIVERA CUSICANQUI SANTIAGO CONTRERAS SOUX VIRGINIA AYLLÓN JESÚS MARTÍN BARBERO SARAH CORONA DANIEL BARGACH MITRE
CLEVERTH CÁRDENAS PLAZA CARMEN WILLIAM CARTER MAURICIO MAMANI FERNANDO CONTRERAS C. DÍAZ HERVÉ DO ALTO VILÉM FLUSSER LA PECOSA MARÍA FERNANDA GALLARDO GUTMARO GÓMEZ BRAVO CARMEN HERNÁNDEZ L. MÉRIDA GABRIELA MAMANI Z. MADRAZO GONZÁLEZ ANUAR ELÍAS SILKE WENK ELCHOR MARÍA MERCADO CLAUDIA JOSKOWICZ L. SECANELLA MEDAYO BLANCA MURATORIO ROB NIXON ANTONIO PAREDES DEBORAH POOLE MARÍA RIVEROS SANDRA DE BERDUCCY (ARUMA) ANÓNIMO MARÍA GALINDO LUCÍA JOSÉ ARISPE FÁTIMA SILVIA LAZARTE LORENA CABNAL GEORGES DIDI-HUBERMAN MICHEL ONFRAY WISLAWA SZYMBORSKA WARA CASTRILLO MACHACA SUELY ROLNIK MARÍA FERNANDA SANDOVAL ZYGMUNT BAUMAN CHARLES BUKOWSKI GASTÓN UGALDE SILVIA GEORGE WASHINGTON RENÉ BARRIENTOS CARMEN ANTONY L. SILVIO ESTABA ALBERTO NATUSCH BUSCH ANGELO MARIANI WALTER CHÁVEZ PAPA FRANCISCO MUJERES CREANDO JOSÉ BALLIVIÁN CRISTINA RIVERA GARZA RIVER CLAURE SAYAK VALENCIA CLAUDIA FIDEL CASTRO ALICE CREISCHER ALISON SPEDDING J. ROCHA THEO RONCKEN MAX HINDERER HUGO CHÁVEZ ALFREDO ROMÁN DOMINGA MAMANI SONIA FLORES MARCOS LOAYZA MARÍA ISABEL ÁLVAREZ PLATA JOSÉ DE ARRIAGA JAIME SÁENZ JUAN CALLIZAYA WERNER HERZOG PADRE AQUAVIVA ALCIDES ARGUEDAS FRANCIS ALŸS MARINA NÚÑEZ DEL PRADO ANTOINE DE SAINT-EXUPÉRY EVO MORALES KLAUS KINSKI EMETERIO VILLAMIL DE RADA SILVIA FEDERICI JAMES CAMERON OZZO UKUMARI (OSCAR OCTAVIO SOZA FIGUEROA) COLECTIVO ARTERIAS URBANAS FELIPE VI DE ESPAÑA CHARLES BAUDELAIRE PABLO ESCOBAR AIDA LEVY COLECTIVO ANTIARTE FRANZ RAMOS JEAN-LUC GODARD MAIRA GAMARRA GABRIELA ZAPATA NOEMÍ MENESES GLORIA ACHÁ HERNÁN SILES SUAZO EMILIANA QUISPE VÍCTOR PAZ ESTENSSORO TAISA FIGUEREDO ROSA APAZA NELLY TAPIA ELISABET ALMEDA DENISE ARNOLD FERNANDO SALAZAR ORTUÑO COLETTE SOLER CARLOS VALVERDE

©Coedición AECID, Agencia Española de Cooperación Internacional para el Desarrollo y Galería KIOSKO

©Créditos editoriales Idea, edición y producción general: Santiago García Navarro, Douglas Rodrigo Rada

Catálogo general de publicaciones oficiales de la Administración General del Estado; https://publicacionesoficiales.boe.es Cerro saqueado, selva desangrada, coca profanada. Hartxs del Antropoceno gore, aceleramos con arte nuestra transformación NIPO papel: 109-22-023-7 NIPO en línea: 109-22-024-2

Esta publicación ha sido posible gracias a la Cooperación Española a través de la Agencia de Cooperación Internacional para el Desarrollo (AECID). El contenido de la misma no refleja necesariamente la postura de la AECID.

Estimadxs lectorxs:

Kiosko, espacio independiente dedicado a fomentar, difundir y promover el arte contemporáneo en Bolivia y el exterior, está orgulloso de presentar el tercer volumen de la serie sobre arte contemporáneo boliviano editada por el escritor Santiago García Navarro, con la colaboración del curador de KIOSKO, Douglas Rodrigo Rada.

Nos alegra la participación de lxs autorxs invitadxs del presente volumen –Carla Spinoza y Santiago Contreras–, artistas-investigadorxs que en las páginas que siguen imaginan, comentan y relatan episodios de la Bolivia actual y analizan obras propias y de colegas. Esperamos que sus textos ayuden a lxs lectorxs a ampliar la reflexión y el cuestionamiento sobre la práctica artística en nuestro país.

Esta serie de libros es fruto del trabajo y el esfuerzo de un amplio grupo de personas de distintas áreas. Agradecemos a lxs artistas, a lxs autorxs, a lxs editorxs, a las instituciones patrocinadoras y a todxs Ixs que han brindado su tiempo y su trabajo para que este proyecto pueda realizarse.

Fundadora de KIOSKO

RAQUEL SCHWARTZ

El Centro Cultural de España en La paz (CCELP), a lo largo de sus diez años de gestión, ha mostrado su compromiso en reflexionar y generar un espíritu crítico y constructivo sobre el arte en Bolivia. En 2021, el Departamento de Publicaciones de la Agencia Española de Cooperación Internacional para el Desarrollo (AECID) consideró oportuno apoyar la publicación Cerro saqueado, selva desangrada, coca profanada. Hartxs del Antropoceno gore, aceleramos con arte nuestra transformación, que ahora tienes en tus manos.

Esta nueva publicación es gestada por Kiosko Galería, que desde el 2006 se establece como un espacio de arte contemporáneo, alternativo e independiente y cuyos proyectos editoriales han estado en consonancia con la estrategia de cooperación cultural para el desarrollo que España persigue en países socios y amigos como Bolivia.

Cerro saqueado, selva desangrada, coca profanada. Hartxs del Antropoceno gore, aceleramos con arte nuestra transformación reúne un conjunto de escenas del arte contemporáneo boliviano desde múltiples dimensiones relatadas por nuevas voces del campo literario, la sociología, la economía, la filosofía y la crítica política, permitiendo crear un registro de la escena artística contemporánea y analizar su contribución a la historia del arte y del país.

Estamos convencidos de que esta publicación, al igual que sus dos volúmenes anteriores, aportará a la generación de lecturas críticas sobre la producción de arte contemporáneo boliviano en su contexto social, político, económico y cultural.

EQUIPO DEL CCELP

Como ha sido criterio editorial de esta colección desde el principio, no convocamos a autorxs para hacer volúmenes temáticos, sino que son los textos que finalmente logramos reunir (hay proyectos de textos y textos avanzados que se abandonan por diversas razones) los que nos dan pautas para imaginar las coordenadas generales del libro. Con Carla Spinoza y Santiago Contreras Soux la tarea fue fácil: ambxs son artistas, sus intereses de investigación son fronterizos y sus textos pueden entenderse como obra, porque se organizan según procedimientos que lxs autorxs suelen emplear en su producción artística, por la singularidad de los puntos de vista que introducen, por la sensibilidad con la que están planteados y por la libertad formal con la que están resueltos. Con cada libro de la colección vuelve también la pregunta: ¿a quiénes están dirigidos estos textos? Sabemos que el público de arte en Bolivia es muy acotado. Que lo constituyen principalmente lxs propixs artistas y lxs profesionales vinculadxs a ellxs, y en menor medida, el público habitual de las iniciativas culturales. Pero para nosotrxs está igualmente claro que escribir es una forma de generar insumos para esxs artistas y para quienes quieran llegar a serlo. Escribir sobre arte puede ser una forma detallada, inventiva y generosa no solo de ver arte, sino también de dar a verlo. Cuando, por ejemplo, Santiago Contreras Soux propone que el libro Interior mina (1971), de René Poppe, sea entendido como la más importante performance duracional de la historia del arte boliviano, no solo está introduciendo en el campo del arte contemporáneo una obra proveniente de la literatura. Está, además, subrayando el nivel de compromiso vital y político que implicó esa inmersión de Poppe en la mina durante ocho meses, está señalando que el arte contemporáneo boliviano necesita de ese tipo de estrategias que fuerzan los límites de la obra y de la vida en general, y está sugiriendo que los del arte son ámbitos en permanente cuestionamiento y redefinición. La operación crítica se convierte así en una intervención sobre el actual estado del arte y los espacios extra-artísticos a los que podría afectar.

10
SANTIAGO GARCIA NAVARRO

Y cuando Carla Spinoza se lanza a investigar los sentidos y usos de la hoja de coca, siente la necesidad de tomar como pivote la propia experiencia: piensa desde la observación del progreso de su transformación personal, de cómo desde ahí se hacen posibles intercambios con personas concretas y de cómo estos cambios e intercambios le proporcionan un punto de vista inédito, inalcanzable desde una aproximación exclusivamente intelectual. Limitar su investigación a una descripción y denuncia de las redes de narcotráfico y al modo en que el arte trata estos problemas no le habría permitido llegar al fondo de la cuestión: que el narcotráfico es una forma brutal de despojamiento de la dimensión sagrada de la hoja de coca y de destrucción de la episteme india que la sostiene, y que para retomar esa episteme y así desmontar las lógicas del poder narco es imprescindible reintroducir el cuerpo en el pensamiento.

Por eso ella hace la crónica de su temporada de trabajo en el cultivo de coca y escribe sobre el modo y el contexto en los que empezó a acullicar y sobre su iniciación en los rituales con la planta sagrada. Y por eso se anima a hacer una serie como Re:invención, que escenifica al hombre indio en ejercicio del poder democrático como avatar más reciente de la historia del colonialismo, traidor de la cosmovisión heredada y predecible consumidor de cocaína.

En estos andares descubrimos entonces que, cuando unx escribe con el cuerpo, también es leídx con el cuerpo. Ese es el primer intercambio real. ¿Y dónde está el cuerpo en el texto de Santiago? En la capacidad del autor de conectar con el cuerpo de la obra y convertirse en trasmisor de toda la complejidad que la habita y con la que esta habita el mundo. Esa transmisión se efectúa desarrollando una interioridad poética de la escritura, cada una de cuyas fibras sentimos resonar, frase tras frase, de principio a fin. La limitación es que estos textos quizá no impacten masivamente sobre las inequidades y violencias que denuncian. Pero unx no escribe solo para el presente inmediato. Escribe con la convicción de que antes o después esas escrituras harán efecto. Y a veces también escribe como una forma de crear el tejido necesario para que textos por venir sí tengan ese poder transformador. Sabemos que hay arte cuando algo es capaz de alterar los sentidos convencionales de las imágenes que nos rodean y de imprimirles nuevas direcciones, aliadas con la imaginación y el fortalecimiento de la vida colectiva. A eso apuntan los textos que presentamos, las prácticas de quienes los escriben y nuestra propia práctica editorial.

11
13

Queridxs lectorxs:

¿Alguna vez se han preguntado por el movimiento de los cuerpos que hacen posible el cultivo de la hoja de coca, la elaboración de pasta base de cocaína (PBC), el tráfico y el consumo de cocaína? ¿Sería tan exitoso el capitalismo sin el consumo global de cocaína? ¿Se han preguntado por qué el índice carcelario más alto de mujeres en Bolivia es por tráfico de cocaína? ¿Han consumido cocaína o todavía la consumen? ¿Por qué en la Bolivia racista la hoja de coca solo es de consumo de lxs indixs? ¿Por qué lxs gringxs han insistido en construir narrativas cinematográficas que identifican la coca con la cocaína? ¿Por qué lxs ciudadanxs del llamado Primer Mundo like snorting cocaine in restrooms? ¿Cuántos cuerpos calculan que deben inmolarse para que la cocaína llegue al norte? ¿Por qué la única transnacional autorizada por la DEA para comprar hoja de coca es la Coca Cola Company? ¿Por qué las farmacéuticas le compran hoja de coca a la Coca Cola y no a los países productores? ¿Por qué la Coca Cola nunca reveló su receta? ¿Sabían que la hoja de coca es ilegal en más de sesenta países? ¿Por qué lxs gringxs se habrán afanado tanto en tipificar la hoja de coca en la lista de los estupefacientes más duros? ¿Sabían que la época de oro de la cocaína en Bolivia fue resultado de las dictaduras y la acción de la oligarquía de este país? ¿Sabían que las zonas de producción de hoja de coca en Bolivia se militarizaron durante dos décadas? ¿Qué impulsó a las mujeres cocaleras en 1995 a marchar desde sus cocales hasta la sede de gobierno exigiendo respeto por la vida? ¿Qué significa tener un vínculo sagrado con la hoja de coca? ¿Por qué lxs bolivianxs nos mentimos sobre nuestra propia historia y preferimos creerle a Hollywood? ¿Por qué la victoria del movimiento cocalero se asienta en un solo hombre, Evo Morales? ¿Acaso el chacha-warmi1 no es la ficción que encubre al patriarcado interno en la vida política de los movimientos indígenas? ¿Sabían que el 65% de las ganancias

1 En aymara, relación horizontal hombre-mujer. (Salvo indicación contraria, los restantes términos citados en otras lenguas también son aymaras).

15

de la venta de cocaína es captado por lxs poderosxs y lxs cultivadorxs reciben alrededor del 1% del ingreso total? ¿Sabían que la guerra multimillonaria contra las drogas librada por Estados Unidos ya lleva medio siglo? ¿No es irónico que uno de los países con mayor capacidad de blanqueo de capitales impulse al mismo tiempo la erradicación de cultivos ilegales de coca para evitar que acabe convertida en cocaína? ¿Sabían que Estados Unidos monitorea los cultivos de hoja de coca con tecnología satelital en misiones de campo terrestres y aéreas? ¿Qué significa políticamente estigmatizar un país por la producción de una materia prima? Si Bolivia hubiera podido en el transcurso de su historia industrializar la cocaína, ¿sería un país del primer mundo? En fin, ¿qué tiene que ver todo esto con el arte?

En algún recoveco del mapamundi hay un lugar llamado Bolivia, adonde llegó el Pato Donald para padecer. Un destino castigo, clandestino, corrupto, pobre, feo y colorinchi, en el que todo es posible, y del cual el primer mundo recepta la más pura y exótica cocaína. Así lo evidencia el ensayo audiovisual Boliwood (2011), de Sergio Bastani, un collage de escenas cinematográficas del siglo XX y principios del XXI, donde Bolivia se posiciona en el imaginario global como un país de mierda. Al que lxs argentinxs ven con desprecio y lxs gringxs solo nombran cuando snorting cocaine, pero de la buena. Un país sin paisaje, construido imaginariamente a punta de estereotipos, al que Tony Montana, el protagonista de Scarface, viene para cerrar un trato millonario con Alejandro Sosa, arquetipo del narco latinoamericano y alter ego del empresario boliviano Roberto Suárez, conocido en los años 80 como “el rey de la cocaína”, el «Padrino» de la mafia narcotraficante boliviana.

EEn algún recoveco del mapamundi hay un lugar llamado Bolivia, adonde llegó el Pato Donald para padecer. Un destino castigo, clandestino, corrupto, pobre, feo y colorinchi, en el que todo es posible, y del cual el primer mundo recepta la más pura y exótica cocaína. Así lo evidencia el ensayo audiovisual Boliwood (2011), de Sergio Bastani, un collage de escenas cinematográficas del siglo XX y principios del XXI, donde Bolivia se posiciona en el imaginario global como un país de mierda.

16

Abajo y páginas 34 y 39: SERGIO BASTANI Boliwood (2015). Video, 8’ 45’’, color, sonido

17

PARA UNA ECONOMÍA SACRIFICIAL

“Un cuerpo, un cuerpo solo, un solo cuerpo un cuerpo como día derramado y noche devorada”

La artista Alejandra Delgado ha convertido su cuerpo en un espacio desde donde interferir en la significación de la historia oficial e intensificar así la experiencia colectiva del mundo: “Lxs bolivianxs somos una sociedad en constante contradicción y eso es algo que me impulsa a hacer obra”2 , dice ella. Contradicciones entre indixs y blancxs, neoliberalismo y socialismo, oriente y occidente, gringxs y cocalerxs, coca y cocaína, entre tantas otras cosas, y en las que ella indaga alterando ligeramente elementos representativos de la historia, “que todos vamos a poder reconocer, aunque siempre habrá algo distinto”. Un quiebre en el que la artista se compromete a oponer al “juego ciego de información y desinformación un juego antagónico: un juego que traiga información nueva” (Flusser, 2017: 21).

Su videoinstalación Danza macabra (2013) consiste en un collage de hoja de coca de un metro por dos, en forma de piel escamada, sobre el que se proyectan en video los pies de la artista en primer plano. Los pies bailan al son de la Danse Macabre, Op. 40, de Camille Saint-Säens. La danza de la muerte se convierte en una mezcla de baile refinado y paso tosco de marcha militar, coreografiada en el espacio condicionado por una geometría ya no sagrada. Ese movimiento artificioso de los pies recrea la forma artesanal de elaboración de PBC, que se realiza pisoteando la hoja de coca. Porque en la destrucción del espíritu de la planta se rompe el vínculo entre hombre y naturaleza, se descompone el ecosistema de la episteme india. Esta otra danza macabra es en realidad un réquiem a la hoja de coca.

A diferencia de la hoja de coca, que ha sido una imagen constante en el arte boliviano, la cocaína hace una de sus primeras apariciones -si no la primera- con la exposición Historia con campo de alcachofas, que Roberto

2 Comunicación personal con la artista, 14 de agosto de 2020. El resto de las citas procede de la misma fuente.

18 DANZA MACABRA (2013): CUERPOS

EN ESTA OBRA, LA DANZA DE LA MUERTE SE CONVIERTE EN UNA MEZCLA DE BAILE REFINADO Y PASO TOSCO DE MARCHA MILITAR, COREOGRAFIADA EN EL ESPACIO CONDICIONADO POR UNA GEOMETRÍA YA NO SAGRADA. ESE MOVIMIENTO ARTIFICIOSO DE LOS PIES RECREA LA FORMA ARTESANAL DE ELABORACIÓN DE PBC, QUE SE REALIZA PISOTEANDO LA HOJA DE COCA. PORQUE EN LA DESTRUCCIÓN DEL ESPÍRITU DE LA PLANTA SE ROMPE EL VÍNCULO ENTRE HOMBRE Y NATURALEZA, SE DESCOMPONE EL ECOSISTEMA DE LA EPISTEME INDIA.

19
ALEJANDRA DELGADO danza macaBra (2013), videoproyección sobre tapiz de hoja de coca, 2’30’’, color, sonido ROBERTO VALCÁRCEL HiSToria con camPo dE alcacHoFaS (1982), técnica mixta (acrílico, lápiz, revistas, fotos, aerosol, café en polvo, látex) sobre cartón y aglomerado de madera. Arriba: fragmentos de la obra original, destruida. Abajo: recreación para la exposición de Roberto Valcárcel "El arte no ha muerto", Museo Nacional de Arte, La Paz, 6 de octubre al 10 de noviembre de 2017. Curaduría: Valeria Paz.

Valcárcel realiza en la galería Emusa de La Paz en 1982. La muestra se componía de más de una decena de paneles móviles de cartón y aglomerado de madera, algunos cuadrados y otros rectangulares, pintados y dibujados de ambos lados, ligados entre sí con alambre y colgados “en cascada” a cierta distancia de la pared, para que pudieran verse completos. Los materiales eran muy heterogéneos –acrílico, lápiz, revistas, fotos, aerosol, café en polvo, látex, etc.–, así como los estilos y las técnicas, y se admitía la posibilidad de agregar o sustraer partes del conjunto. Aunque no limitada a un solo tema o referencia, la obra creaba una familia de palabras a partir del prefijo alca- (alcachofa, Alka-seltzer, alcaloide) en clara alusión a la cocaína. En su tesis doctoral sobre Valcárcel, Valeria Paz relativiza las interpretaciones que tanto Teresa Gisbert como Pedro Querejazu hicieron de la exposición como si unívocamente se tratara de una denuncia del narcotráfico y sus vínculos con el gobierno de facto de Luis García Meza (1980-1981), y más bien destaca, sin negar las evidentes alusiones a la cocaína, la estructura abierta de la obra y su polisemia. (Paz Moscoso, inédito)

Catorce años después, Sol Mateo realiza el performance Chapare (1996) en el Museo Nacional de Arte, en la misma ciudad. Dentro de una bañera, al son del himno nacional y ruido de helicópteros, vestido con traje militar de alto mando y con los pies descubiertos, el artista pisa hojas de coca como si estuviera elaborando PBC. Dos años antes, el gobierno de Gonzalo Sánchez de Lozada (1993-1997), siguiendo instrucciones del gobierno de Estados Unidos, reforzaba la “guerra contra las drogas” mediante una política de “coca cero” sobre las dos zonas de cultivo de la coca: los Yungas y el Chapare (pero con más saña en esta última). Irónicamente, los gobiernos que impulsaron esta guerra –el primero de Sánchez de Lozada y el segundo de Hugo Banzer (1997-2001), ya no como dictador sino como presidente democrático– encubrían una doble moral, puesto que el circuito coca-cocaína constituía una fuente fundamental de enriquecimiento de las elites, es decir, de prominentes empresarios y políticos de los gobiernos de facto y democráticos neoliberales. Mientras tanto, lxs cultivadorxs de coca eran reprimidxs, perseguidxs y asesinadxs. Una guerra interna que sucedía a espaldas de todo el país.

21
SOL MATEO cHaParE (1992), videoperformance, video VHS, 5’44’’, color, sonido.

Danza macabra tiene una fuerza crítica capaz de repensar la elaboración de pasta base de cocaína como factor de patriarcado y necropoder sobre los cuerpos femeninos sometidos al narcotráfico. Entre las múltiples imágenes que Delgado recuerda de la hoja de coca, privilegia un episodio: la realización de una obra de teatro durante su etapa escolar basada en la Leyenda de la Coca, que intuitiva e inconscientemente conecta con Danza macabra. Según esa leyenda, Coca era una inca bellísima y sexualmente libre, que hacía padecer a los hombres porque los tomaba simplemente para satisfacer su deseo. Al no poder poseerla, los hombres enloquecían y se suicidaban. Hasta que el Inca mayor decidió pedir ayuda a yatiris3 y amautas4 , guías espirituales del imperio. Esta fue su recomendación: ¡Gran señor de estos reinos! Amo y dueño de nuestras vidas. Hemos observado los astros y las vísceras de varias llamas blancas. Todo nos da señales de que Coca es el principio de mayores desgracias en tu imperio. Solo su muerte puede detener la tragedia que se avecina. Entonces el Inca mayor ordenó aprender a Coca para sacrificarla [...] sus restos cuarteados, se despacharon a diferentes regiones del imperio [...] y más tarde, observaron que en cada lugar brotaba un arbusto muy verde, de bellas hojas ovaladas a la que llamaron Coca en recuerdo de la sacrificada. (Paredes, 1975: 93)

EN SU TESIS DOCTORAL SOBRE VALCÁRCEL, VALERIA PAZ RELATIVIZA LAS INTERPRETACIONES QUE TANTO TERESA GISBERT COMO PEDRO QUEREJAZU HICIERON DE LA EXPOSICIÓN COMO SI UNÍVOCAMENTE SE TRATARA DE UNA DENUNCIA DEL NARCOTRÁFICO Y SUS VÍNCULOS CON EL GOBIERNO DE FACTO DE LUIS GARCÍA MEZA (19801981), Y MÁS BIEN DESTACA, SIN NEGAR LAS EVIDENTES ALUSIONES A LA COCAÍNA, LA ESTRUCTURA ABIERTA DE LA OBRA Y SU POLISEMIA.

La leyenda es de algún modo una premonición del descubrimiento de la cocaína en el siglo XIX, una mercancía que, para volverse global, se valdrá del desgarramiento y sacrificio de cuerpos semiesclavizados. “Siempre había querido trabajar con la coca, pero no encontraba cómo, hasta que, en un ejercicio de baile, conecté esa idea con la acción de pisar coca”.

La manera artesanal de elaboración de PBC es una imagen con la cual lxs bolivianxs hemos convivido durante la década del noventa. Una escena clásica del espectáculo del poder, que en reiteración televisiva logró representar al otro, al enemigo, al criminal, al “pisa coca”5 , como

3 Curanderx, mediadorx entre lo humano y la naturaleza.

4 En el imperio Inca, persona anciana y sabia con autoridad moral.

5 Persona que elabora pasta base de cocaína de manera artesanal.

22

una amenaza, e instaló la consigna de que era un deber hacerle la guerra. Pues, finalmente, pisotear la hoja de coca, acto imprescindible para la elaboración de cocaína, tiene una tremenda carga simbólica. Las personas que pijchamos 6 y la tenemos presente en nuestros actos rituales, consideramos la hoja de coca como un ente vivo y la tratamos con sumo respeto. No se puede tirar al piso, y mucho menos, pisotear. Sería un acto de total desprecio. La obra resuelve el problema proyectando los pies filmados en video sobre el tapiz de hoja de coca puesto sobre la pared. “Personalmente no hubiera podido pisarla, no hubiera sido capaz”, me dice Alejandra. A pesar de que se sugiere el pisoteo mediante la proyección, la hoja de coca sigue intacta. Sin embargo, es un pisoteo al son de la muerte, que hace pensar en el pisoteo de los cuerpos unos sobre otros, y de lxs muertxs apiladxs unxs sobre otrxs, una práctica típica del narcotráfico como “economía sacrificial de la muerte” (Valencia, 2018: 89).

La producción y tráfico de cocaína trae bienestar para unxs pocxs y acarrea mucha desgracia y violencia a muchxs. Es la brutal realidad en la que viven los territorios donde se hace el tráfico. Delgado no pasa por alto esta situación. Desde su cuerpo pone de manifiesto las diversas violencias que se perpetran contra los cuerpos de las mujeres en nombre del narcotráfico, una “deriva económica que crea sujetos y acciones distópicas [...] el uso y el abuso de la violencia como estrategia para conseguir el enriquecimiento rápido [...] que se recrudece ante la crisis de los grandes ejes económicos, conocidos como Primer Mundo” (Valencia, 2018: 88). No por nada las cárceles latinoamericanas y europeas están atestadas de mujeres criminalizadas por microtráfico, con condenas de más de ocho años, irónicamente más largas que delitos como la violación y el feminicidio.

LLas personas que pijchamos y la tenemos presente en nuestros actos rituales, consideramos la hoja de coca como un ente vivo y la tratamos con sumo respeto. No se puede tirar al piso, y mucho menos, pisotear. Sería un acto de total desprecio. La obra resuelve el problema proyectando los pies filmados en video sobre el tapiz de hoja de coca puesto sobre la pared.

6 Tomar un puñado de hojas de coca, introducirlas en un costado de la boca y succionar el jugo de la planta.

23
D

POR UNA APOLOGÍA DEL DELITO

¿Cómo se construye la línea divisoria que separa a los sujetos que importan en la sociedad de los rechazados?

Al son de la Danza macabra, nombro los cuerpos femeninos que danzan para una economía criminal, impulsados por el deseo de sobrevivencia, en un movimiento entre la vida y la muerte. Movimiento en cuya defensa deseo hablar, usando el concepto de apología del delito, proveniente del derecho penal, con la intención de convertir esta acción “ilegal” en objeto de elogio público. En el transcurso del tiempo, las instituciones de reclusión para mujeres no han tenido gran variación, y lo cierto es que “históricamente ha habido una forma diferente de castigar a hombres y mujeres que han vulnerado las leyes penales” (Almeda, 2005: “prólogo”). El castigo para las mujeres comprende “el sujeto de ‘mujer presa’ como transgresora no solamente de las

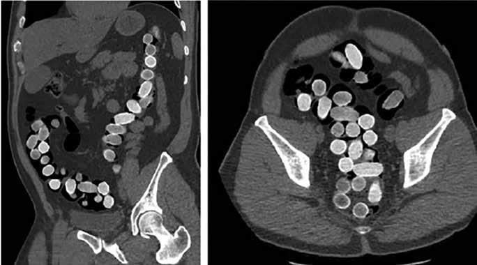
24 “MULAS” Y “BODY PACKERS”:
Rayos X de abdomen de una mujer con 84 cápsulas de cocaína

leyes penales –desviación delictiva–, sino también de las normas sociales que regulan lo que ha de ser su condición femenina –desviación social”. Diferencia que, al parecer, Foucault no tuvo en cuenta en su análisis de las cárceles, quizá por atenerse a la concepción hasta ahora vigente de los “centros correccionales”. Pues, ante la “visión del encierro diferenciado” (Gómez, 2003: 355), ha prevalecido la concepción de espacios no carcelarios, sino correccionales. Un encierro diferenciado, porque las mujeres son doblemente culpables: primero, por delincuentes, y segundo, por mujeres. El objetivo es “devolverlas a la sociedad como una verdadera mujer” (Antony, 2007: 72), desde el momento en que han defraudado el comportamiento socialmente impuesto. “De esta manera, la cárcel pasa a ser el lugar privilegiado para recordar y enseñar a las mujeres que son y han de seguir siendo buenas hijas, esposas o madres” (Alameda, 2005: 107). Lo que revela que “la delincuencia femenina se ajusta a parámetros derivados de una concepción androcentrista” (Antony, 2007: 74).

La cocaína es la droga más traficada a nivel global, la mercancía del capitalismo por excelencia. Su utilidad es la condición necesaria para que sea producida y vendida. De ahí que el narcotráfico se convierta en “un factor sobradamente potente, que dispone de elementos tanto políticos como económicos para oponerse al Estado y convertirse en una opción de trabajo, tentadora, rentable” (Valencia, 2001: XX) y macabra.

En Bolivia, uno de los delitos por los cuales las mujeres son más encarceladas es el microtráfico de cocaína. Nuevos métodos de ocultamiento van desarrollando tecnologías aberrantes, como el correo humano, cuyos agentes se han denominado de muchas maneras: “mulas”, “body packers”, “burreras”, “higher angels”, “tragonas”. Son “personas que utilizan su cuerpo para transportar droga, generalmente en forma de bolas o paquetes envueltos en látex, cinta aislante, goma, celofán o papel aluminio” (Madrazo, 2007: 261). Llevan aproximadamente un kilo (2,2 libras) de droga en total, dividido entre 50 y hasta 100 cápsulas. Cada cápsula contiene suficiente droga como para que, en caso de que reviente dentro del cuerpo, sea letal.

En la mayoría de los testimonios de prensa de mujeres presas por microtráfico, el común denominador es la desesperación por conseguir una suma de dinero considerable para superar la vida precarizada. Como un cíclope, la red de narcotráfico identifica a sus víctimas y se ofrece como alternativa laboral, en la que tanto lo ilegal como lo legal se benefician. Un mercado donde el valor de uso y el valor de cambio sobrepasan los límites de lo posible: la cocaína crea mundos exorbitantes, como se ve en la cinematografía hollywoodense o en las recientes series de Netflix sobre capos del narco. En pos del entretenimiento, esa producción audiovisual se ha encargado de

25

componer una oda a la muerte, al tráfico transnacional no solo de cocaína, sino también de mujeres, de niñas, de órganos, de armas, al lavado de dinero en los más prestigiosos bancos e iglesias del buen pastor. Montañas de billetes acumuladas sobre lxs muertxs, los sesos volando por el aire, las armas como falos y, sobre todo, el desprecio hacia las mujeres. Un retrato de lxs desesperadxs y de lxs que desprecian la vida e idolatran el dinero.

Como diría Sayak Valencia, un devenir gore del capitalismo (2001). Yo agregaría: una imagen del capitalismo desbordado convertida en realidad insoportable. Porque ya ni el cuerpo es la mercancía, sino que la mercancía invade un cuerpo en toda la posibilidad de un devenir catastrófico. Se trata de “sacar de juego la fase de producción de la mercancía, sustituyéndola por una mercancía encarnada literalmente por el cuerpo y la vida humana a través de técnicas de violencia extrema” (Valencia, 2001: 84).

Mientras tanto, los titulares de los periódicos informan:

Detienen a una mujer boliviana que llevaba 100 cápsulas de cocaína en su cuerpo (El Día, 2011b).

Hallan muerta a una adolescente con 104 cápsulas de cocaína en el estómago (La Razón, 2015)

Descuartizan a “mula” para sacar cápsulas de cocaína (Radio San Gabriel Digital, 2018)

Cruzó la frontera con cocaína para pagar la quimioterapia de su hijo, la detuvieron y suplica que la liberen para despedirse (InfoBAE, 2018)

26
“Nada las alejará de su objetivo: llegar a La Paz caminando”, La Razón, 31 de diciembre de 1995

Muere “tragona” que transportaba 14 cápsulas de droga líquida (Red Uno, 2019)

Tres mujeres que traficaban cocaína en el estómago mueren (La Opinión, 2019)

Cae banda que usaba tragonas para enviar cocaína hasta Cuba (El País, 2019)

Se le revienta un ovoide en el estómago y muere en el bus; la droga debía llegar a Chile (El Deber, 2019)

Arrestan a boliviana con cápsulas en su vagina (El Día, 2011a)

Es un informe sombrío sobre las danzas crueles que muchas deciden danzar en el deseo de tener una vida mejor, historias que narran lo inenarrable. Una imagen de las que no logran traspasar las fronteras y son sorprendidas y “reciben un trato atroz y discriminatorio debido a los brutales procedimientos utilizados para obligarlas a expulsar la droga” (Antony, 2006: 106). En las fronteras es donde comienza el infierno de abuso de poder sobre las microtraficantes, bajo la premisa de que, si se declaran portadoras de cocaína, supuestamente se beneficiarán con una reducción de la pena. Sin embargo, “los fiscales optan por una opción práctica: buscan condenar a quienes llevan la droga, y si les preguntan por los dueños de la droga, explican que no les corresponde [perseguirlos] porque tendría que realizarse una investigación extraterritorial” (Anónimo, sin fecha). La víctima es, pues, la otra cara del sujeto neoliberal, responsable de las consecuencias de sus decisiones en el marco de un mercado laboral “ilegal”, en el que lo que se decide arriesgar es la propia libertad.

Se asume anticipadamente la libertad de este sujeto y se piensa que no depende de ningún contexto social, económico, institucional ni político. Como consecuencia, el único destino de las mujeres que realizan microtráfico es la cárcel, donde solo un pequeño porcentaje llega a tener sentencia. Las demás pasan su vida en la detención preventiva y el hacinamiento (Fides, 2020), o en cárceles extranjeras alejadas de la realidad que dejaron.

Fue el caso de Claudia, una trabajadora informal, madre de tres niñxs y embarazada de dos meses, que conmovió a la población boliviana. Un mal día, ante la imposibilidad de costear la quimioterapia de su hijo mayor, Claudia decidió cruzar poco más de un kilo de cocaína a la Argentina, con la promesa de que cuando entregara el paquete recibiría 500 dólares (InfoBAE, 2018). Lamentablemente no pasó Güemes, localidad de la provincia de Salta, y como

27
BUSCAN
A QUIENES
LA DROGA, Y SI LES PREGUNTAN POR LOS DUEÑOS DE LA DROGA, EXPLICAN QUE NO LES CORRESPONDE [PERSEGUIRLOS] PORQUE TENDRÍA QUE REALIZARSE UNA INVESTIGACIÓN EXTRATERRITORIAL”
“LOS FISCALES OPTAN POR
UNA OPCIÓN PRÁCTICA:
CONDENAR
LLEVAN

consecuencia de su detención, su hijo abandonó el tratamiento. En tantas otras historias similares, la ley condena con toda su barbarie, argumentando impunemente que esos cuerpos vulnerables no están siendo forzados para la entrega de un servicio, aunque sin duda en esa oferta laboral “hay una estrategia dirigida, una pedagogía de la crueldad” (Segato, 2000: 48).

Estallan los órganos, se abren los cuerpos, las grietas “descuartizan a mula para sacar cápsulas de cocaína” (Radio San Gabriel, 2018), pero la cocaína siempre se salva. El examen de rayos X y la tomografía computarizada del cuerpo de Ana revela la existencia de siete paquetes envueltos en el tracto gastrointestinal y un paquete grande en la vagina. Carmen, Lucía y Fátima, que traficaban cocaína en el estómago, mueren. Otras cinco, después de romperse las cápsulas con cocaína que transportaban en el estómago, son hospitalizadas7. Constituyen el último eslabón del tráfico de drogas, pues como apuntaría Federici, los valores vertidos en el cuerpo de las mujeres son un elemento constante que expresan la condición necesaria para la acumulación (2015).

En la mayoría de los casos de microtráfico, esa manera tan burda de llevar la droga es un simulacro para evadir lo evidente: el paso de grandes volúmenes de droga, o lo que se conoce como “cooperación compensada” o un “falso 22”, término que se refiere a una táctica legal a la que algunos narcotraficantes recurren para disminuir sus condenas, y que consiste en delatar a una persona contratada para llevar droga. Retratos del capitalismo gore, donde este “tipo de crueldad expresiva denotativa de la existencia de una soberanía paraestatal que controla vidas y negocios [...] es particularmente eficaz cuando se aplica al cuerpo de las mujeres” (Segato, 2014: 361).

“Cocaleras del trópico de Cochabamba caminan rumbo a La Paz en la provincia Inquisivi”, La Razón, La Paz, 3 de enero de 1996

7 “Tres mujeres que traficaban cocaína en el estómago mueren en Venezuela”, El Comercio, Quito, 27 de diciembre del 2019. Recuperado de https://www.elcomercio.com/actualidad/muerte-mujeres-cocaina-estomago-venezuela.html.

28

DO POR LA VIDA, DEL COCAL A LA SEDE DE GOBIERNO

( 1995-1996)

Hace un par de años tuve la oportunidad de estar en el Chapare y escuchar los testimonios de las mujeres cocaleras. Sería imposible recordar textualmente cada una de sus palabras, pero me quedan la impresión y la energía de esas mujeres, a las que evoco conmemorando la Marcha por la vida (1995), de la cual fueron protagonistas. Un suceso histórico auténtico de la potencia de los cuerpos femeninos, aglomerados en alianza, que avanzaban a paso agigantado. Un otro movimiento que la obra de Delgado me lleva a pensar como danza furiosa.

Las caminantes han emprendido la marcha. Cada paso las afirma. Son 1.238,5 kilómetros que atravesarán con todo el cuerpo. Un predestinado campo de guerra. Paisaje y mutación. El poder las acecha, las persigue, las jalonea, las insulta con toda su violencia. En su trayecto, la marcha se bosqueja y se camufla, sigilosamente. La policía tiene órdenes de hacerlas retroceder. En la primera avanzada las capturan y las fuerzan a retornar a sus cocales, pero ellas, sin dudar, retoman la marcha. “Unos cuantos hombres las acompañan en su participación de chasquis 8 mensajeros [...] para estar sobre aviso del territorio en la avanzada” (Arnold y Spedding, 2005: 55). Esta vez el protagonismo es de ellas. No fueron convocadas, se autoconvocaron. Silvia Lazarte, dirigente de productores de coca del Trópico, dice:

La nueva marcha de cocaleras se iniciará desde la ciudad de Cochabamba, para evitar la acción de organismos de represión, no queremos más que gringos entren a nuestras casas pateando puertas sin respetar ni siquiera a mujeres y niños. Aprovechando la ausencia de nuestros esposos cometieron abusos de violación a nuestras compañeras especialmente a las más jóvenes, ya no hay seguridad uno sale de la casa y no sabe si vuelve o ya no, nos matan como a animales sin miedo, nuestros compañeros los hombres se hacían detener y en camiones los trasladaban al cuartel de Chimoré ahí fueron confinados torturados algunos muertos nos lo sacábamos, entonces las mujeres

En quechua, corredores jóvenes, mensajeros personales del Inca en el Tahuantinsuyo.

29 MUJERES COCALERAS MARCHAN-
8

SSobre la eterna disputa de poder y control sobre la materia prima del narcotráfico se asienta un nuevo proceso de acumulación capitalista, en el que la violencia sobre los cuerpos de las mujeres y los recursos naturales es, como diría Federici, la estrategia por excelencia para debilitar a lxs que se resistan (2015).

nos hemos visto obligadas a levantarnos y empezamos a organizarnos con más fuerza, dejando nuestros niños viendo esa situación ha sido necesario la unidad de las Mujeres, para hacer respetar nuestros Derechos es así que empezamos con la marcha por la vida hacia La Paz (Coordinadora de las Seis Federaciones del Trópico de Cochabamba, post en Facebook, 2019).

¿Qué las rebela? Su territorio y sus cultivos invadidos y militarizados en nombre de la “guerra contra el narcotráfico”, una guerra a la guerra sustentada sobre una política internacional de “coca cero”, de erradicación de la hoja de coca en el país. Sobre la eterna disputa de poder y control sobre la materia prima del narcotráfico se asienta un nuevo proceso de acumulación capitalista, en el que la violencia sobre los cuerpos de las mujeres y los recursos naturales es, como diría Federici, la estrategia por excelencia para debilitar a lxs que se resistan (2015). Nuestros cocales hacen desaparecer de la noche a la mañana. Entran a las dos o tres de la madrugada y al día siguiente todo limpio está el cocal. Nada podemos hacer, son 150 policías armados contra una familia. Si salimos nos golpean y nos detienen. Nos dejan sin alternativa para vivir (La Razón, 1996).

El cuerpo de la mujer india se convierte en el primer territorio de disputa del poder patriarcal. “Al defender el territorio tierra, las mujeres hacen una defensa cotidiana y paralela impresionante en dos dimensiones inseparables: la defensa del territorio cuerpo y la defensa plural de la vida” (Cabnal, 2019: 121). Reivindico la Marcha por la vida como una danza de resistencia, una fuerza vital transformada en lucha, organización y desplazamiento de las propias mujeres en rebeldía.

EL GOBIERNO DESCONOCIÓ LA MARCHA DESDE SU INICIO. QUISO MINIMIZARLA CON DISCURSOS PATERNALISTAS, COMO EL DE ESTE TITULAR DE PRENSA: “LAS MUJERES MARCHAN Y LOS HOMBRES NEGOCIAN” (IPS NOTICIAS, 1996). DESCONOCÍA TODA AUTONOMÍA E IMPULSO DE LAS MUJERES DE LLEVAR SUS DEMANDAS HASTA LA SEDE DE GOBIERNO, PUESTO QUE LA SUBLEVACIÓN, PARA CUALQUIER RÉGIMEN DE PODER, ES SIMPLEMENTE INACEPTABLE.

Las marchas de larga distancia iniciadas en 1990 por grupos de indixs son parte consustancial de la protesta en Bolivia (Arnold y Spedding, 2005: 53), y la Marcha por la vida de las mujeres cocaleras fue una de las más relevantes. Por su característica de sublevación femenina, por lo que implicaba salir del cocal y, sobre todo, del espacio doméstico, asumiendo con el cuerpo un papel reservado a los hombres y convirtiéndose así en mujeres públicas: “la[s] de afuera, el caos, lo desconocido y posiblemente la libertad” (Ayllón, 2019: 159).

La acción de marchar-danzar es una expresión de gran valor para el espíritu popular. Surge como una resistencia, un mostrarse y autorrepresentarse desde el cuerpo, “lugar de enunciación, negociación y acción de quien camina en el espacio-mundo, e interpreta lugares al atravesarlos y/o habitarlos en el desplazamiento” (Gallardo, 2017: 19). La marcha tuvo un desplazamiento de gran aliento. A lo largo de treinta y un días, atravesó el trópico, el valle y el altiplano, pasando por los más adversos climas. El camino fue, además, un campo de batalla entorpecido constantemente por las fuerzas policiales. “500 policías intervinieron la marcha violentamente en Suticollo” (La Razón, 1996), en el intento de frenar la marcha a como diera lugar, pues sin duda esa potencia femenina significaba una amenaza. Si el gobierno cree que ha ganado al impedir la marcha queremos decirle que otro grupo de mujeres junto con sus hijos continúa la marcha por caminos de herradura y estamos seguras que llegaremos a La Paz (La Razón, 1995).

El gobierno desconoció la marcha desde su inicio. Quiso minimizarla con discursos paternalistas, como el de este titular de prensa: “Las mujeres marchan y los hombres negocian” (Ips noticias, 1996). Desconocía toda autonomía e impulso de las mujeres de llevar sus demandas hasta la sede de gobierno, puesto que la sublevación, para cualquier régimen de poder, es simplemente inaceptable. En nombre del mantenimiento del orden, de la preservación de la paz civil o de la salvaguarda de los bienes particulares, “el poder debe destruir hasta el último atisbo de rebeldía, pues siempre queda el riesgo de un estallido a partir de una chispa potente del impoder” (Didi-Huberman, 2017: 41).

Si bien la prensa intentó subestimar a las mujeres marchistas mostrándolas como “lloronas”, en registros alternativos (Mérida, 1996) se ve a mujeres aguerridas alzando la voz con ahínco en su propio idioma, renegando de un sistema neoliberal y denunciando todas las violencias padecidas. A pesar del camino tortuoso, de ser violentadas, encarceladas y separadas, “no tienen miedo desde su posición inferior, de su lugar de impoder, de ‘hacer algo’ en el espacio público” (Mérida, 1996: 101).

31

“Desde tiempos inmemoriales, las mujeres fueron quienes tenazmente defendieron, resistieron y vehementemente se opusieron a la estructura de poder” (Federici, 2015: 24). Sus cuerpos se levantaron ante la pérdida, y aunque ese movimiento no cambiará la historia de inmediato, ni es posible recuperar lo perdido, ni resucitar a sus muertxs, lo importante, lo potente es ese no dejar de hacer, de caminar, de danzar por la fuerza de cambiarlo todo. Pues sea cual sea el resultado de la potencia de la sublevación, grande o pequeña, lograda o fracasada, y aunque a veces no lleve a ningún lugar, deja la huella indestructible del deseo.

LA LLAMADA “GUERRA CONTRA EL NARCOTRÁFICO” HABÍA SUCEDIDO A ESPALDAS DE TODO UN PAÍS, PERO ANTE LA LLEGADA DE LA MARCHA, LA POBLACIÓN LA RESPALDABA Y RECIBÍA. ASÍ, LAS MARCHAS RURALES ERAN EFECTIVAS POR SU EFECTO DE VISIBILIDAD.

Un deseo que, a mediados de la década de 1990, llevó a la consolidación de federaciones de mujeres de manera orgánica en los Yungas (1995) y Chapare (1996), “una directiva que no era reconocida por el sindicato de varones” (Arnold y Spedding, 2005:57). Sin embargo, la identidad de organización de las cocaleras marcará una diferencia en comparación con otros movimientos de mujeres, como el de las mujeres en las minas, puesto que, si bien unas y otras cumplen con el imperativo papel de amas de casa, las cocaleras se definirán primeramente por su actividad productiva extra doméstica. Esta diferencia será posible debido a que la economía campesina del cultivo de hoja de coca (Arnold y Spedding, 2005:63) se basa en la unidad doméstica, y tanto el hombre como la mujer son imprescindibles para cumplir con la totalidad de las tareas productivas. La mujer tiene autonomía de decisión sobre sus actividades, igual que el hombre sobre las suyas, pero para llevar el proceso productivo a buen puerto es necesaria la colaboración. Lo que, de alguna manera, cuestiona la capacidad del hombre de ser el único –o al menos el principal– proveedor de la unidad doméstica, socavando así la ideología patriarcal. Sin embargo, las peticiones de las cocaleras sobre las que se fundó la marcha siguen siendo compartidas, es decir, no se caracterizan netamente por una perspectiva de “género”, pues este concepto no impregna la relación entre hombre y mujer de su cosmogonía. Pero sí las afirma en su condición de importantes agentes políticos para una economía campesina. Desde los años 80, las mujeres campesinas venían siendo activas partícipes de la política “con o sin sus maridos, siendo estos dirigentes o no, siempre estaban presentes en los bloqueos, marchas y movilizaciones”. (Spedding, 2008: 26) Entre las demandas de las marchas de las mujeres cocaleras están el respeto por la vida y los derechos humanos, la suspensión de la erradicación forzosa de cultivos de hoja de coca, el respeto por la soberanía nacional y la liberación de dirigentes detenidxs.

32

Eran 200 al partir, resistieron la represión y los intentos de desarticulación de la policía. Ahora son más de 300, porque a la larga columna se han sumado cocaleras de Los Yungas, y al llegar a La Paz podrían ser más campesinas en marcha contra la erradicación forzosa del cultivo de la hoja. (Ips noticias, 1996)

La marcha como una tecnología de lucha, un resurgimiento femenino que, al desplegar sus acciones en defensa de la vida y politizarse, desarma la articulación entre patriarcado y capitalismo. Fue un 17 de enero de 1996 que se avizoraba la gran masa aproximándose a la urbe. La llamada “guerra contra el narcotráfico” había sucedido a espaldas de todo un país, pero ante la llegada de la marcha, la población la respaldaba y recibía. Así, las marchas rurales eran efectivas por su efecto de visibilidad.

La Marcha por la vida fue un momento de “potencia del deseo que no se agota jamás, excepto en la muerte (o en la pulsión de muerte)” (Didi-Huberman, 2017: 106), puesto que les permitió a esas mujeres verse como un cuerpo colectivo y, en el caminar, crear tácticas y estrategias de acciones propias de las demandas mayores en juego en cada uno de estos levantamientos. En palabras de Lorena Cabnal (2019), es un levantamiento sensible, anticolonial, anticapitalista y antipatriarcal, un gesto de lucha del movimiento antiglobalizador, puesto que los problemas de fondo del conflicto inmediato son parte de las políticas públicas neoliberales a nivel mundial.

La Marcha por la vida es una danza “en defensa de la vida”, un gesto que “significa romper una historia que todo el mundo creía concluida, romper la previsibilidad de la historia” (Didi-Huberman, 2017: 38), una sublevación que un cuerpo colectivo de mujeres se afana por llevar a cabo para garantizar la reproducción inmediata de la vida propia y de lxs suyxs.

EL VIAJE AL COCAL:

CONOCER CON EL CUERPO

Mi primer contacto real con la hoja de coca fue el año 2011, en un viaje a Nogalani. Una compañera de clase de ascendencia afro, que salía con un chico afroyungueño de familia cocalera, me invitó a conocer el cocal a fin de año, a cambio de colaborar en las tareas que se realizan allí. Lo tomé como una invitación de esas que no sabes por qué suceden pero que sería tonto no aceptar. Conocer el proceso de cultivo y cosecha de la coca me parecía una oportunidad de entender de cerca el espíritu de la planta. Y así

33

tomé ese destino, sin querer queriendo. Total, un viaje casi siempre “empieza de manera misteriosa y prosigue con la claridad de esas razones que ya antes se esconden en el cuerpo” (Onfray, 2016: 29). De la hoja de coca conocía realmente poco. De niña, la escuela y mi entorno de clase media acomodada me habían hecho creer obtusamente que el pijchar coca era “cosa de indixs”. Recién a los diecisiete años, en las revueltas de octubre durante la Guerra del Gas (2003), tuve mi primer encuentro con la hoja de coca, cuando aprendí en las calles a pijchar junto a lxs otrxs manifestantes, muchxs de ellxs indixs.

En la flota, sin saber dónde poner la mirada, me entregué al viaje y al paisaje, con la intención de comprender qué significaba ese lugar donde habita la hoja de coca. “Es difícil saber qué hacer con los ojos a veces, pues ellos acumulan luz, los ojos” (Rivera, 2017: 224). Al menos para mí, en mi condición de observadora, con o sin cámara, siempre es un dilema a resolver dónde poner la mirada. En esa ocasión llevé una cámara modesta de película.

34

De pronto me veo en el bus, cada hora que pasa el camino se vuelve más angosto. Por la ventana veo un precioso precipicio, la humedad va aumentando, estamos por llegar. Las plantaciones de coca se hacen cada vez más visibles, de lejos parecen graderías simétricamente diseñadas, que se desfiguran conforme nos vamos acercando. (Hablo en plural porque voy con mi compañera de universidad y su novio). Finalmente llegamos y el verde de la coca ahora lo es todo.

Nos recibe la madre del compañero de mi amiga, una mujer mayor con una fuerza en el rostro y un silencio profundo, acompañada de sus tres nietxs de distintas edades: dos niñxs y una adolescente. Ellxs nos ven con curiosidad. De pronto llega la noche, no hay luz, el verde desaparece y los sonidos del exterior son todo el paisaje disponible. Al día siguiente debemos levantarnos temprano para salir a trabajar al cocal.

Es el primer día. Desayunamos juntxs en la cocina de la casa, que huele a leña y cafue, como los niñxs llamaban a la bebida elaborada de la cáscara de café. Al parecer, el cocal está lejos de la casa. Emprendemos la caminata llevando en mano la chonta (picota), y en el camino lxs niñxs me explican que hay que limpiar la mala hierba para preparar la tierra. Después de unos cuarenta minutos de caminata, llegamos a las graderías simétricas. Se veían distintas de lejos. Nos repartimos por número de escalones y empezamos a limpiar. En el lugar no hay agua potable. El sol es cada vez más intenso y cada unx solo tenemos derecho a dos tapitas de agua. Durante varios días seguimos esta rutina. El movimiento del cuerpo lo es todo. La sed desesperada llega con la tarde, pero no se puede parar hasta el atardecer. El cuerpo se expresa en su mayor potencia. Nunca voy a olvidar el dolor de espalda que me acompañaba cada noche. Los siguientes días, familiarizada con el trabajo y la compañía, pasamos a trabajar a otro cocal, donde las plantas estaban listas para ser cosechadas. Nuevamente nos repartimos el trabajo. Hasta ese momento no me había dado cuenta de que lxs niñxs eran mis maestrxs. Me enseñaron con paciencia cada tarea, y cómo sostenerla hasta el final. Para mi cuerpo sedentario, de ciudad, privilegiado, este tipo de trabajo, que exige poner todas las potencias corporales en acción, era un impacto permanente. Todo el tiempo sentía que no iba a poder, pero era más fuerte el compromiso que tenía por haber ofrecido mi ayuda. Quizá tampoco era de mucha ayuda, yo creo que estorbaba más que otra cosa, puesto que algo que me llamaba la atención era que la señora dueña del cocal nunca en toda la estadía me dirigió la palabra, por más que en su casa me tratara con mucha amabilidad.

Emprendimos el trabajo en esta segunda etapa de risa en risa con lxs niñxs.

35

Así es como, al viajar, las apariencias con las que se nos presentaban las cosas disminuyen, y hasta se disipan. Comprendí así el significado del cultivo de hoja de coca. Nunca más volvería a pijchar sin la conciencia de todo el movimiento de los cuerpos que implica.

Teníamos que sacar las hojas y recolectar las semillas. A mí no me dejaron cosechar las hojas porque tenía que tener experiencia. Me impresionó la delicadeza con la que arrancaban las hojas, una por una. A mí me tocaba recolectar las semillas, de color rojo vivo, y para eso me entregaron una tela que, amarrada a la cintura, servía de bolsa de canguro donde ir acumulándolas. Esos días fueron menos pesados, de todas formas. El cuerpo ya se había habituado al trabajo diario.

Hasta ese momento no me había detenido a hacerme la pregunta con la que había iniciado el viaje. Quizá mi cuerpo lo sabía, pero aún no me daba cuenta de que aquel trabajo de tanto esfuerzo lo había hecho con una mujer adulta y con niñxs. Para mí era una experiencia, pero para ellxs era su manera de sustentar la vida. Así es como, al viajar, las apariencias con las que se nos presentaban las cosas disminuyen, y hasta se disipan. Comprendí así el significado del cultivo de hoja de coca. Nunca más volvería a pijchar sin la conciencia de todo el movimiento de los cuerpos que implica.

Los dos últimos días solo fui observadora. Recuerdo que, frente a la casa, en un pequeño patio cubierto de piedra laja, recogieron la hoja de coca que había terminado de secarse y la guardaron en un cuarto oscuro, que lxs niños decían que era el cuarto propio de la coca. Estaba en el segundo piso de la casa y tenía dos puertas. Una daba al vacío, y por ahí se lanzaban los costales de coca para facilitar el traslado. Al atardecer alistaron los sacos de coca, y al día siguiente por la madrugada la llevaron a la ciudad de La Paz, para venderla en el mercado de la coca ADEPCOCA. Esa tarde, antes de partir, me permití detenerme a comprender con todos los sentidos qué significaba ese lugar. No era necesario usar el intelecto para eso. (Ahora me doy cuenta de que no tuve tiempo de hacer fotos. Las únicas imágenes que conservo son afectivas, de los momentos compartidos con lxs niñxs.) A medida que avanzaba la tarde, me quedé mirando detenidamente los cocales desde las alturas. Es imposible creer que sobre el cuerpo de esta planta y ante su alteración química se vaya desdibujando la realidad de manera tan grotesca.

a

Concluí el viaje en plena oscuridad. En esa oscuridad partimos hacia la ciudad junto con varixs cultivadorxs y sus taques de coca, costales rellenos de hoja de coca que pesan unas 50 libras y cuyo precio varía –según la calidad de la hoja– entre los 300 y los 500 dólares. Recuerdo que nos detuvieron a mitad de camino para controlar la cantidad de hoja de coca que llevábamos, pero todxs portaban un permiso para poder transportar su mercancía. Fue una estadía de dos semanas que recuerdo como un extenso instante. Lejos ya del acontecimiento, quedan momentos congelados en formas susceptibles de reactivaciones inmediatas. Esos rastros, más que justificar el viaje, lo hacen parcialmente inmortal (Onfray, 2016: 59).

EL USO SAGRADO DE LA HOJA DE COCA, UNA TECNOLOGÍA PARA LA

VIDA Y EL FUTURO

“Cuando pronuncio la palabra futuro, la primera sílaba pertenece ya al pasado” WISLAWA

Las plantas han sido históricamente transversales a la vida de los pueblos, no solo por su importancia cultural, sino también porque su producción muchas veces define el destino de las economías locales. Por estas tierras, la coca es una de ellas: una planta sagrada que lleva 5.000 años siendo cultivada y consumida. Su trascendencia se debe a la resistencia de la cosmovisión andina, que ha sabido reconocer en ella a una compañera imprescindible para la vida, social, medicinal y ritual. Repensar la hoja de coca en tiempo presente es aproximarse a una cultura viva que guarda una estrecha relación con el espíritu sagrado de la planta.

Hay dos formas de encontrarnos con la coca: pijchar en el cotidiano o ritualmente. Es elemental pedir siempre permiso. Nosotros sacamos kintu, que es el permiso, un gesto que consiste en la selección de tres o cuatro hojas para presentarnos a la planta, haciéndole saber que estamos pidiendo su compañía y sabiduría, porque las plantas son intermediarias. Se trata de presentar tu corazón, tu intención.9

9 Comunicación personal con la yatiri Wara Castrillo Machaca, artista, 14 de agosto de 2021. El resto de las citas procede de la misma fuente.

37

Las plantas tienen la capacidad de generar su propio alimento, mientras que los animales optamos por alimentarnos de las plantas y de otros animales. Es un hecho que la lógica capitalista ha llevado hasta sus últimas consecuencias en el ejercicio de dominación sobre la naturaleza. La naturaleza comprendida como materia prima del goce insaciable.

Pero, ¿qué es lo sagrado? ¿Cómo definir y defender lo sagrado de la hoja de coca desde la ciudad y la experiencia del cuerpo? Son preguntas que considero significativas para poder comprender la relación cultural actual con el ajayu10 de la planta, y así poder diferenciarla de la cocaína en todas sus perspectivas. Como un primer contacto, decidí consultarle a la hoja de la coca misma para ver si contaba con su consentimiento para hablar de ella. Así conocí a Wara Castrillo Machaca, una yatiri joven de gran presencia, que me llevó al encuentro del lenguaje de la hoja de coca y su medicina.

–Wara, ¿cuál es tu primer recuerdo con la coca?

–Mi primer recuerdo… Bueno, mi mamá era del campo, y crecí viendo a mi abuela pijchar coca todos los días. Mis tíos trabajan en los Yungas y le traían saquillo entero de coquita. Recuerdo la llamada de atención que se me hizo de niña. Al ver que la gente de la comunidad consultaba a la coca en el día a día haciendo una lectura básica que todos conocen –consiste en tomar dos hojitas y lanzarlas, y el resultado será una guía para las decisiones del día–, quise repetir eso en una disposición de juego y me dijeron: “No se juega a adivinar la coca, a la coca la respetas”.

–¿Cómo te definirías en tu labor de curandera?

–Por el servicio que hago como yatiri, que es aquella que tiene la capacidad de dialogar con abuelas y abuelos mayores, ser su mediadora e integrar los mensajes que me van dando para que nosotros, la gente, podamos recordar. En el ámbito urbano nos enfocamos mucho en el humano, nos hemos olvidado de vivir en Pacha 11, en colectivo, en equilibrio. En el área rural es distinto, porque cotidianamente se está dialogando con la Pacha. Si hay sequía e inundaciones, el o la yatiri va sanando. Su misión es la de dar los mensajes para restablecer el equilibrio. Aprender que absolutamente todo está vivo, que todo siente. Entonces se trata de tomar conciencia de cómo nos relacionamos con la vida, y derrotar el pensamiento moderno que nos ha hecho creer que somos superiores a otras especies, negando que hay

10 Espíritu, alma y ánima.

11 El conjunto de tierra, mundo, tiempo y espacio.

38

otra forma de conciencia. Las plantas tienen sus achachilas12 y taykales13 , tienen su propia justicia. Por ejemplo, al cosechar la papa, si con la picota la cortas por la mitad, te trae enfermedad, porque estás lastimando una semilla. La planta misma te está diciendo: no me toques.

–¿Cómo aprendiste el lenguaje y medicina de la hoja de coca?

–Mi acercamiento a la coca fue porque estaba atravesando una crisis con la religión, y por lo tanto, con la vida, con la idea del dios omnipotente y que bendita eres porque sufres. Esos discursos no entraban en mi corazón, pero siempre necesitas una respuesta y decidí buscar ayuda. Mi mamá tenía una amiga que consultaba coca, pero le decían cosas básicas, no había

12

Espíritus masculinos que habitan las montañas más altas, considerados protectores de la comunidad y también encarnan la presencia de los antepasados.

13 Espíritus femeninos, entendidos como madre mayor de todos.

relación entre la lectura y lo que estaba pasando en la vida. Entonces yo no creía, pero tenía respeto. Lo que pasa es que es común que caigas en lugares donde no hacen un trabajo responsable y solo te piden dinero. Pero tuve suerte, me encontré con un maestro yatiri de comunidad. Sin pedirle nada, él me vio y me dio mucha información valiosa sobre mí misma. Me cautivó la primera lectura de coca que tuve con el maestro, porque me leyó lo que era nomás, sin ofrecerme milagros. Me dio una palabra de esperanza de que por lo menos ese camino se podía hacer acompañada con abuelos, abuelas. Las plantas son las únicas que me han hablado al corazón y sin engaño, es algo que agradezco.

En el proceso de curación, el yatiri me fue compartiendo su sabiduría y enseñándome formas de curación. Hasta que un día me dijo: “Ahora te corresponde curar a ti”. Entonces hicimos una ceremonia. Los yatiris no pueden autodenominarse de ese modo a sí mismos ni autoformarse. Debemos tener el permiso de los abuelos y abuelas mayores para recibir la fuerza de ellos y poder realmente ayudar a la gente. Recibido el permiso, le pregunto al maestro yatiri: “Pero, ¿cómo voy a leer la coca?” Y me dice: “Eso ya sabrás, quien ha nacido para este servicio sabe”. Y me da una instrucción: “Te soñarás, pues”. Y así tal cual ha sido. Generalmente quien tiene esa relación para hacer lectura de coca suele recibir el sueño que viene de la misma planta. Es común el sueño de verte bañado en coquita, verla en abundancia, mostrándote ella misma cómo leerla.

Así abrí mi primer tari14 . De repente la coca comenzó a hablar y recordé las palabras de mi maestro yatiri: “Esta es nuestra tecnología, es nuestra enciclopedia. Aquí está nuestra ciencia”. Entonces comprendí que ahí habitaba toda la información del Pacha.

Al primer encuentro de miradas con Wara sabía que estaba en el lugar correcto. Ahí estábamos frente a frente, con la hoja de coca de por medio, expandida sobre el tari. Me entregué sin preconceptos a ese primer diálogo con la planta. Por primera vez acudía a su lectura, así que debía escoger pacientemente, una por una, hojitas no quebradas, hasta reunir una cantidad considerable, y ponerlas dentro del tari. Acompañado de alcohol y una moneda, el tari se cerró en cuatro partes, como un tablero, para dar curso a la lectura, entre conjuros y permisos que la yatiri invocó en mi nombre. Luego entregó el tari para que lo posara sobre mi corazón y le hiciera la pregunta.

Las hojas de coca danzaban mientras me iba revelando lo que ella conside-

14 Tejido (aguayo) de uso ritual, cuadrado, de aproximadamente 50 x 50 cm, sobre el cual se lee la hoja de coca.

40

raba necesario. Me dio su permiso para hablar de ella y pasó a hablarme de la historia de mis ancestros, pues desde esa información era posible comprender mis desequilibrios, mis fracturas del presente. Me devolvió una mirada transparente de mí misma, tan genuina que ninguna racionalidad podría describir ni comprender. Ahora tiene sentido lo que comúnmente desde la cosmovisión andina se dice, que la coca es un vehículo entre los seres terrenales y los dioses. La coca no adivina, como erróneamente desde la concepción colonial-cristiana se ha creído. La coquita justamente lee, te habla sobre cómo está aconteciendo todo. Es una mediadora, y lo que se está levantando en esta ceremonia es para darnos un diagnóstico de qué está pasando, a la vez que ofrece su medicina y su fuerza para desalojar los males y reparar lo que estés necesitando reparar.

El lenguaje de la hoja de coca es un conocimiento y técnica antigua que, a pesar de haber sido perseguido, prohibido, racializado y desprestigiado, permanece presente y actual. En los 90 solo la gente que había migrado del campo o hijos de migrantes acudimos a la coca, pero ahora veo que está llegando a todos los ámbitos y estamos abiertos a comprender que hay otras formas de medicina y espiritualidad. No solo la cristiana. Como has dicho, es un llamado. Si tiene que llegar, llega.

Al aceptar la coca como mi medicina, no tenía la menor idea de cómo proceder. Experimenté dos curaciones muy distintas. Wara vació dos bolsas de coca sobre el tari en una pequeña mesa y nos invitó a pijchar: La coquita nos va a acompañar toda la noche [...] Cada pijchar es un compartir, es desear que nos vaya sanando, dando fortaleza de corazón, espíritu y cuerpo. Así proseguimos por horas, pijchando y fumando tabaco. La atmósfera se oscurecía y nublaba por el humo abundante. Ambas plantas fueron vehículos para

La coca no adivina, como erróneamente desde la concepción colonial-cristiana se ha creído. La coquita justamente lee, te habla sobre cómo está aconteciendo todo. Es una mediadora, y lo que se está levantando en esta ceremonia es para darnos un diagnóstico de qué está pasando, a la vez que ofrece su medicina y su fuerza para desalojar los males y reparar lo que estés necesitando reparar.

41

entrar en otro lugar, un punto intermedio desde donde ver más allá de lo aparente. Mientras tanto, la yatiri armaba una mesa ritual bicolor, con un conjunto de elementos de distintos tamaños, formas y materiales, que iban tomando posición en la mesa ritual. Esa composición nos fue revelando cómo y qué se estaba limpiando, equilibrando. Pasadas unas tres horas entre el humo, la coca y la voz de Wara, sentí mi cuerpo detonar en un vómito purificador. En ciertos momentos me sentí morir, pero la yatiri me alentaba a ver algo más. Hasta que por fin mi cuerpo pudo descansar. Solo recuerdo que me puso sobre el estómago un puñado de elementos envueltos en periódico. Al despertar, ofrendamos la mesa ritual al fuego, al que tenía prohibido ver. Pero podía escuchar, de lejos, los sonidos del encuentro de los elementos con el fuego, que Wara iba interpretando. Por último, noblemente me lavó el cuerpo con agua de hierbas, me sahumó, me conjuró y se despidió de mí. Tenía la impresión de haber asistido a un trasplante. Había retornado de ese lapso entre la vigilia y el sueño reconfigurada.

El segundo encuentro fue un par de meses después. Mi cuerpo tenía otra disposición, otra presencia, otro peso, otra forma de habitar. Esta vez, la coca me llevaría a una memoria lúcida, una excursión hacia recuerdos precisos. Según la yatiri iba apuntando con sus preguntas, la coca me fue mostrando con claridad lo que debía ser resuelto y acompañado. Las plantas tienen su conciencia, su inteligencia, muy distinta a la nuestra. Por eso nos enseñan cómo curarnos. No es solo una reacción bioquímica en el cuerpo. Es una cuestión de relacionarse con su espíritu para que de esa manera se integre y cure. Recibir su medicina fue recibir serenidad y claridad de pensamiento, como si te vol-

GASTÓN UGALDE $1 onE dollar, de la serie coca lEavES (2011), collage, 64 x 148 cm

vieras más sabia, más abuela, más viejita. En complemento con el Ayurveda

concebida como “el conocimiento de la vida”, la coca supuso en mí dos transformaciones: reconocer mi propio alimento según la forma y composición de mi cuerpo, y asumir la alquimia de las plantas como mi auténtica medicina.

En mi encuentro con lo sagrado de la coca, reconocí una tecnología para reconfigurar la realidad y “hacernos otro cuerpo” (Rolnik, 2018: 110), individual y colectivo. Al entrar en diálogo agudo con las manifestaciones del cuerpo, es posible hacer resonar la propia existencia y consentir a “los saberes-del-cuerpo como aquellos que permiten seguir cuando dos tipos de experiencias de nuestra subjetividad entran en tensión: la del sujeto que descifra el mundo por medio de la percepción, y la del viviente que somos” (114).

La tecnología ha sido concebida de diferentes maneras a lo largo de la historia, pero puede definirse, básicamente, como un conjunto de saberes y técnicas para llegar a un fin determinado. Hoy, sin embargo, la tecnología se nos representa como “conocimientos técnicos ordenados científicamente para crear bienes y servicios que faciliten la adaptación al medio ambiente y la satisfacción de necesidades y deseos humanos [...] con el fin último de la eficacia por la eficacia” (Aguilar, 2000: 129).

Nuestros antepasados creían que el secreto de estar bien era poseer toda esa fantasía que nos ofrece este mundo moderno. Y nosotros, que estamos viendo esa fantasía, recién podemos ver cuánto sufrimiento genera, y que en realidad no te otorga nada. En otras palabras: “vivimos en una historia de fantasías utópicas [...] un orden social, global e infeccioso de futuros imaginados y construidos sobre genocidio, esclavitud, ecocidio y ruina total” (Manifiesto Indígena Antifuturista, 2020: 5). Frente a ese desengaño estamos tratando de reconectar con nuestras raíces.

EEl uso sagrado de la coca es una tecnología del presente para “redefinir la realidad”. Eso significa “reconectar lo más posible con nuestra condición de viviente, activar nuestro saber-de-viviente, saber-del-cuerpo, y que este sea nuestra brújula”

milenaria de origen hindú, tiene por objetivo la unificación de cuerpo-mente y espíritu.

43
15 ,
15
Medicina

La globalización es una realidad que nos cautiva y nos homogeneiza, “imponiendo a todos los mismos modos de satisfacción [...] el empuje a un goce que nos desvincula y promociona el vehículo con el objeto y no con el otro [...] seducidos por los objetos del mercado, terminamos viviendo en el mundo de las imágenes” (Soler, 2000-1: 71). La codicia de oro, de petróleo, que es la sangre de las abuelas: a todos nos persigue esa atracción hacia el color, lo brillante. El plástico es hoy nuestra codicia, que nosotros llamamos “ñanka”, una ambición que se convierte en una maldición para todos.

Lo que me interesa es rescatar la definición de tecnología como un procedimiento para modificar la realidad en su artificio, para responder a las necesidades y deseos humanos. El uso sagrado de la coca es una tecnología del presente para “redefinir la realidad”. Eso significa “reconectar lo más posible con nuestra condición de viviente, activar nuestro saber-de-viviente, saber-del-cuerpo, y que este sea nuestra brújula”. (Rolnik, 2018: 112). El sistema capitalista nos hace creer que es la única alternativa, pero es como no estar vivo, porque el capitalismo se come nuestro tiempo de vida. Por eso terminamos tan agotados, sin tiempo para la vida. Nos queda reinventar nuestros personajes como resistencia al capitalismo. “Crear otras formas de vivir, distintas de las escenas dominantes, sus personajes y sus valores, es la meta de la lucha micropolítica” (Rolnik, 2018: 124).

44
GASTÓN UGALDE US Flag, de la serie coca lEavES (2008), collage, 120 x 160 cm

–Wara, en tu quehacer de yatiri, ¿cuáles consideras los mayores males de este tiempo?

–La soledad y el individualismo son muy de este mundo contemporáneo, y la experiencia me ha enseñado que así no se puede caminar. Necesitamos poder acompañarnos y confiar en el otro. Otro mal frecuente es el no mirar con humildad el pasado, para no repetir heridas ancestrales. Y finalmente, el mal de las mujeres, nuestro dolor en relación al hombre. Nos toca trabajar nuestra fuerza, darnos nuestro lugar, darnos nuestro valor. Ese pensamiento me recuerda una costumbre en el pueblo16 de mi mamita en el que pijchaban diferente. Se agarran cuatro hojitas y se las pones en la boca con quien estás compartiendo. Recuerdo ver cómo mi mamá y sus amigas iban poniéndose la coca en la boca la una a la otra mientras hablaban. Así por horas: escogiendo, invitando, escogiendo, invitando.

“Los ‘poderosos y triunfadores’ pueden sentir, a diferencia de los débiles derrotados, aversión a los lazos comunitarios [...] pero la vida vivida en ausencia de comunidad es precaria, muchas veces insatisfactoria y en ocasiones aterradora (Bauman, 2006: 53). En mi comunidad se usa la palabra saluro, en vez de salud. Significa que no tengas pena, que estés alegre, sana. Cada pijchar es un compartir y desear en colectivo que nos vaya sanando, dando fortaleza de corazón, espíritu y cuerpo.

En estos pueblos, y me refiero a Latinoamérica, nos abraza una memoria de comunidad y la potencia de lo colectivo. Así lo demuestran las recientes protestas sociales. La fuerza colectiva nos abre la posibilidad de ampliar el espectro de lo previsible, de lo que el capitalismo tiene diseñado para nuestra condición de vivientes. Pues se trata de “darse cuenta de que la vida es lo ‘sagrado’ y que la lucha constante es entre fuerzas activas que quieren destruir la vida y fuerzas reactivas en defensa de esta, fuerzas no solo en la sociedad sino en nuestra propia subjetividad” (Rolnik, 2018: 120). 16 Puerto Acosta de Pasuj Achata es una localidad del departamento de La Paz, a orillas del lago Titicaca.

45
UGALDE in god wE TrUST
relieve de
60 x 500 x 15 cm
GASTÓN
(2014), de la serie coca lEavES,
hierro,

: LA INCIDENCIA DE LA OBRA SOBRE LO POLÍTICO

artista

La obra de Gastón Ugalde (La Paz, 1944), unx de lxs artistas precursorxs del arte contemporáneo boliviano, dialoga hace medio siglo con el entorno sociopolítico mediante apropiaciones de significantes culturales y materiales de las culturas indias, y en particular, de la cosmovisión andina. La hoja de coca tiene amplia representación en su trabajo, con la cual experimentó conceptual y materialmente. Es una tarde soleada en la ciudad de La Paz. Ugalde expande una energía vital, llena de humor y sin convencionalismos. Gastón, le digo, me gustaría empezar la entrevista con una pregunta sencilla: ¿cuál es tu relación personal con la hoja de coca ? La hoja de coca la tengo presente desde niño. Mis abuelos eran latifundistas y toda su vida vivieron en el campo con campesi-

46 COCALEAVES(2009)
“Un
es el que dice una cosa complicada de un modo simple”
“Los obreros de la cocaína”, El País, Madrid, 22 de enero de 2014

nos quechuas en los alrededores de los Yungas de Cochabamba. Recuerdo a mi abuela siempre con la hoja de coca en la sien y en la frente. Era su medicina. Mi madre mantuvo esa costumbre, pero conforme la familia se fue urbanizando, esa costumbre, como muchas otras, fue desapareciendo.

En los 70, estaba consciente de que había que estudiar los beneficios de la coca desde el arte. Entonces me entregué a conocerla, y en esa búsqueda, siempre me encontraba con hombres de sabiduría verdaderos y cosmogónicos. Tuve la suerte de encontrarme con un gran antropólogo que vino a estudiar la hoja de coca en Bolivia después de haber estudiado la marihuana en otras partes de Sudamérica. Creo que es gracias a ese estudio que hoy es legal en muchos países. Con este hombre caminé gran parte de la región andina. Guiado por yatiris, empezó a estudiar con rigor la lectura de la hoja de coca. Se hacía leer, me hacía leer a mí, y así registraba el lenguaje de la hoja de coca. Yo siempre la he mascado. Empecé a dibujarla más grande, a fotografiarla, la usé como soporte, hice con ella tinta, papel, etc.17

Con hoja de coca realiza su serie de collages Coca leaves, que inicia probablemente a fines de los años ochenta. Recreando con humor provocativo algunos símbolos nacionales estadounidenses, como la bandera, el dólar y el logo de la Coca Cola Company, confronta críticamente un imaginario global que asocia ciertas economías con la materia prima de la cocaína. Mientras que localmente conecta con los comienzos del neoliberalismo y su relación con el boom de la cocaína, con la intervención de los Estados Unidos en políticas nacionales y con la consecuente llegada al poder de Evo Morales, el líder sindicalista cocalero que cambió el devenir de la política boliviana.

A primera vista, la obra $1 One Dollar (2011) no muestra más que eso, un simple dólar. Pero no se trata solo de un juego de mímesis, puesto que en su materialidad sucede el quiebre: representar un billete de un dólar con hoja de coca señala, en la lectura más inmediata, la relación entre la economía estadounidense y la cocaína. La masividad con que las hojas de coca cubren la superficie del billete hace pensar en una de las pequeñas piscinas improvisadas llenas de hojas de coca en las que se elabora artesanalmente el PBC. Primero se vacía toda la hoja de coca y se pasa a mezclarla con una variante de químicos que va decolorando el verde de la hoja. Una fórmula entre cantidad y transformación, que precisa “375 kilos de hojas cosechadas para obtener 2,5 kilos de PBC que a su vez dará un kilo de cocaína pura en la forma conocida de polvo blanco” (Infobae, 2019). Lo que se invierte para obtener el producto final, con la comercialización se recupera multiplicado por mil.

17 Entrevista con el artista, La Paz, 18 de noviembre de 2020. El resto de las citas procede de la misma fuente.

47

abundancias y abundancias. Por ejemplo, nuestra relación con el icono del dólar se evidencia cada 24 de enero, cuando se hace la milenaria y popular celebración de Alasitas, o fiesta de la “abundancia”, que a lo largo del tiempo ha ido adaptando el contenido de lo que llamamos buena ventura o fortuna. Inicialmente se hacía para festejar una cosecha exitosa. En tiempos modernos y urbanos se arma una feria donde se venden, entre muchas otras cosas, reproducciones de billetes de cien dólares que hacen lxs artesanxs de la miniatura, se venden en fajos y se compran con la finalidad ritual de que, en su fiel imitación y gran número, los billetes se conviertan en realidad.

Un gesto que compartimos lxs latinoamericanos sobre el valor simbólico que le otorgamos al dólar asimilándolo con la bonanza económica. De ahí tal vez la sutil manera de Ugalde de dibujar “América” en el billete, palabra que aparece con un leve dismorfismo, como expresando que algo no está del todo bien. Además, modifica perspicazmente la dirección de la mirada de George Washington, que parece mirar de reojo –la intrusiva y vigilante mirada del Tío Sam sobre los cocales, el monitoreo con tecnología satelital de los cultivos de hoja de coca, parte de una estrategia de control sobre los destinos políticos y económicos de los países productores– o, como dice el dicho, “hacer la vista gorda”, fingiendo no ver una injusticia, un acto de corrupción, un cargamento ilegal de cocaína. La historia del tráfico de cocaína en Bolivia se remonta a finales de los años 50, y está ligada a los poderes dictatoriales que duraron hasta principios de los años 80, como se ve en la obra de Valcárcel que mencioné antes. La dinámica se extendió sobre las esferas del poder estatal y cobró especial relevancia a partir del “momento en que el Estado acepta el funcionamiento, con inmunidad a las leyes nacionales, de un aparato de inteligencia estadounidense” (Roncken, 1997). Los golpes de Estado de René Barrientos, Hugo Banzer, Alberto Natusch Busch y García Meza, que llevaron a Bolivia a una crítica situación económica, fueron financiados por el narcotráfico.

El primer mandato democrático de Hernán Siles Suazo (1982-85) se derrumbó por una hiperinflación devastadora. El segundo gobierno democrático y cuarto mandato de Víctor Paz Estenssoro (1985-1989), frente a la crisis económica reforzó alianzas con Estados Unidos, lo que desembocó en la promulgación de dos importantes normativas: 1) la Ley 1008, de Régimen de la Coca y Sustancias Controladas, que colocó la hoja de coca en el primer lugar de la lista de estupefacientes18 , haciéndola el blanco perfecto

18 El artículo 34 de la ley prohibía la producción y/o conservación de las plantas y semillas de coca en todo el territorio nacional, por lo que se determinaba su desaparición, sin considerar su centralidad en las milenarias prácticas culturales de la población. https://www. vicepresidencia.gob.bo/El-presidente-Evo-Morales-promulgo-la-Ley-General-de-la-Coca

48 Hay
49
GASTÓN UGALDE Sin título (2009), de la serie coca lEavES, collage, 110 x 160 cm

de políticas internacionales antidrogas, y 2) el Decreto Supremo 21060, que si bien logró por un tiempo enmendar la economía, trajo consigo el desmoronamiento de la minería estatal, un acontecimiento relevante para la reestructuración sociopolítica, pues implicó la relocalización de lxs trabajadorxs minerxs en tierras bajas del trópico cochabambino, específicamente en el Chapare, una de las principales zonas de cultivo de hoja de coca. Lo cual, contra todo cálculo, conllevó el restablecimiento del movimiento cocalero.

UN ESTADOS UNIDOS DE HOJAS DE COCA ES TAMBIÉN LA IMAGEN DE LA NACIÓN CONSOLIDADA POR LA INDUSTRIALIZACIÓN DE MATERIAS PRIMAS, DE ENTRE LAS CUALES UNA DE LAS MÁS ANSIADAS ES LA HOJA DE COCA, MATERIA PRIMA DEL ORO BLANCO.

Las banderas, tal y como las conocemos hoy, están relacionadas con el nacimiento de los estados modernos. Como artefactos cargados de simbolismo para quienes se las apropian y levantan, tienen el poder de unir o dividir. US Flag (2008) es una reproducción de la bandera estadounidense con los colores originales modificados, en un duotono verde y blanco. Las franjas verdes me recuerdan la disposición, tal como se ve a la distancia, las plantaciones de hoja de coca, que se realizan en forma de largas graderías simétricas. Las blancas, por su lado, me hacen pensar en la disposición de la cocaína en líneas sobre una superficie plana, lista para ser inhalada.

Un Estados Unidos de hojas de coca es también la imagen de la nación consolidada por la industrialización de materias primas, de entre las cuales una de las más ansiadas es la hoja de coca, materia prima del oro blanco. Y las estrellas, dispuestas como con descuido, suerte de cruces de un cementerio improvisado en los alrededores del campo de batalla, algunas suavemente definidas por una delgada línea roja, imagen del crimen y la sangre derramada en pos del imperio.

La producción y prohibición del consumo de hoja de coca tienen una correlación histórica de centenares de años. Sin embargo, con el régimen neoliberal, este prohibicionismo se intensifica con medidas internacionales de control de la producción, comercialización, erradicación y consumo de la hoja de coca. Todo empezó de golpe en 1986, cuando llegó un destacamento de tropas estadounidenses y “un gigantesco avión Galaxy de las Fuerzas Armadas Americanas que aterrizó en el aeropuerto de la ciudad de Santa Cruz, transportando seis helicópteros Sikorsky para patrullaje sobre los cultivos de hoja de coca”. (Díaz, 2000: 21).

En sus intentos de adueñarse de instituciones del poder político del Estado, la dictadura había dejado bien instaurado el negocio del narcotráfico. No es casualidad que el boom de la cocaína haya sido en los años 80, en

50

pleno regreso de la democracia. Esto, al parecer, significó blanquear el negocio del narcotráfico mediante relaciones diplomáticas y comerciales con Estados Unidos, país “interesado” en disminuir el consumo de drogas en su territorio. Así se dio inicio a la llamada “Guerra a las drogas” (1985-2005), que procedió violando todos los derechos humanos de lxs cultivadorxs de coca, víctimas de lo que Nixon (2013) denominaría la “violencia lenta”, la violencia que padecen los sujetos “sacrificables” y los espacios que ellos habitan. Es lo que Joseph Stiglitz (2006) en (Acosta, 2009:22) denominó la “maldición de los recursos”, sobre aquellos países donde, paradójicamente, la pobreza está relacionada con su riqueza, como consecuencia de políticas desarrollistas del imperialismo. Al preguntarle a Ugalde sobre la obra In god we trust, que también forma parte de la serie Coca Leaves, responde que el único dios es el dinero. Benjamin (2008) hubiera respondido que el capitalismo es la única religión sin dogma y sin escrúpulos. El ejecutivo norteamericano inhala cocaína en la mañana, a mediodía, al salir del trabajo con los amigos, en el cóctel y en la noche, antes de entrar a la cama para tener buen sexo. En todo su día ha consumido más de 100 dólares y, como ellos, millones de personas. Es obvio que la cocaína es parte activa de la economía mundial. Y la adicción, un principio de mercado muy común. En este caso, la cocaína en sí misma no es el problema, sino su ilegalidad. Algunos de los grandes inventores, literatos, poetas, científicos son lo que son gracias a la cocaína. Obviamente, la 100 % pura, porque tienen acceso a ello. Son los privilegiados, mientras que el resto del mundo inhala veneno.

51
AGENCIA EFE El presidente Morales entrega un retrato con hojas de coca realizado por el artista Gastón Ugalde a Luis Almagro, secretario general de la OEA. La Paz, 17 de mayo de 2019

Con el descubrimiento europeo de la cristalización de la cocaína en el siglo XIX, y “la rápida difusión de su uso como anestésico, la coca se convirtió en una mercancía de circulación mundial” (Rivera, 2007: 59). Para 1961, “el gobierno de EE.UU penaliza la ‘hoja de coca’ comparándola con el opio; visión que fue globalizada y adquirió un estatus legal internacional por medio de la Convención Única Sobre Estupefacientes” (Salazar, 2008: 19). Desde ese momento, la coca sería objeto de una tipificación incorrecta, que la asemejaba con la cocaína, lo que generó un estigma no solo sobre la hoja, sino también sobre la identidad de todo un país en el imaginario global.

Prueba de ello es la quema de dos obras de la serie Coca Leaves el 2016, cuando Ugalde fue invitado a participar de una muestra colectiva en Ámsterdam. Las obras fueron interceptadas al entrar en Holanda y el incidente desembocó en un juicio. El artista fue citado a un juzgado por considerarse que sus obras contenían una sustancia “ilícita”. La justicia finalmente desestimó el caso y compensó al artista por la destrucción de sus obras. Esta no es la primera vez que me pasa. En una bienal de San Pablo, varios artistas nacionales participamos con diferentes obras, pero no las registramos en la Aduana Nacional y, al retornar, la aduana brasileña las retuvo, alegando que se trataba de casi 600 kilos de material ilícito. Todo quedó incautado.

52
AGENCIA EFE “Bolivia celebra el día del Akullico”, La Paz, 11 de enero de 2019

El consumo de la Coca Cola en Bolivia ha asumido un valor cultural y simbólico en la reconfiguración de la identidad local. Es símbolo de modernidad, entendida como “recuperación del tiempo perdido, y por tanto identificando el desarrollo con el definitivo dejar de ser lo que fuimos para al fin ser modernos”

f S

Angelo Mariani, un químico habituado a elaborar tónicos, caminó unos ocho años por la región andina estudiando los efectos de la hoja de coca. Volvió a Italia y, en 1863, de la mezcla de vino de Burdeos y extracto de hojas de coca, inventó el vino que llevaría su nombre y que le daría fama mundial.

No era más que el mate de coca. Y listo, se hizo multimillonario. Era un brebaje de gran reconocimiento, hasta el Papa lo consumía. Su popularidad también llegó a Estados Unidos, hasta que lo eclipsó la Coca Cola, que se convirtió en la bebida emblemática del país, y en una de las más consumidas del siglo XX y lo que va del XXI a nivel mundial.

La empresa que la produce es una de las pocas trasnacionales que tiene autorización para importar hojas de coca (115 toneladas anuales, aproximadamente) (Opinión, 2018). Sin embargo, la compañía niega usar en su receta extracto de coca, debido a que es ilegal en la mayoría de los países en los que se comercializa en la actualidad. Pero es un secreto a voces que “el monopolio de los usos legales de la hoja de coca está reservado para la Coca Cola” (Rivera, 2007: 61).

El consumo de la Coca Cola en Bolivia ha asumido un valor cultural y simbólico en la reconfiguración de la identidad local. Es símbolo de modernidad, entendida como “recuperación del tiempo perdido, y por tanto identificando el desarrollo con el definitivo dejar de ser lo que fuimos para al fin ser modernos” (Barbero, 1987: 65). Un consumo que permitió a lxs indígenas que migran a la ciudad reinventarse como mestizxs, en un gesto de consumo que evidencia la constante contradicción entre tradición y modernidad. Son los mismos sujetos los que paralelamente consumen Coca Cola y pijchan hoja de coca, valiendo su identidad en el uso y consumo de ambos.

53

Pero, ¿qué significa realmente la producción de hoja de coca para Bolivia?

A diferencia de los otros dos países productores –Perú y Colombia–, Bolivia tiene una larga tradición de consumo de la hoja de coca, con “un mercado interno consolidado” (Llanos, 2008: 57), característica que la convierte en un símbolo de identidad y resistencia cultural “que se ha adecuado a la economía de mercado, generando empleo y estabilidad económica en beneficio de los productores” (Llanos, 2008: 35).

Interior de la Casa Grande del Pueblo en 2019, durante el gobierno de Evo Morales

A finales de los años 90, tras dos décadas de “guerra de las drogas” o, para ser más precisxs, de “guerra a la coca”, y agotadas las reformas neoliberales, se fue gestando una suerte de energía en “defensa de los recursos naturales” como bastión de lucha de carácter rural y urbano “protagonizado por un movimiento insurgente indígena popular que puso fin a la corrupción de partidos criollos de gama neoliberal y populista” (Rivera, 2007:57). Reivindicación que tuvo como motor primordial la defensa o recuperación de los recursos naturales, entre los que se encontraban el agua, el gas y la coca. Esto dio impulso a las movilizaciones sociales de la “agenda de octubre”, que desembocaron en el derrocamiento de Sánchez de Lozada. La rebelión culminó tres años después, convertida en un proceso nacional que daría lugar a un cambio de época.

En enero de 2006, en las ruinas de la desaparecida cultura tihuanacota, “con el permiso del padre sol y la madre luna y el de la sagrada hoja de coca y de todos los espíritus protectores de la naturaleza” (Morales, 2015), el cocalero Evo Morales se convertía en presidente de Bolivia. A través de

54

millones de monitores en todo el mundo, una nueva imagen se instituía en el imaginario de la cultura visual global. Por primera vez en la historia latinoamericana, un indígena presidía un país. Cámaras de la prensa local e internacional se disputaban la mejor toma. La imagen daría la vuelta al mundo, representando la victoria de lxs que por más de quinientos años habían sido oprimidxs. Él, el gran hombre, el héroe, resumía en su imagen todas las luchas de los pueblos indios de todos los tiempos. Lxs cocalerxs, como protagonistas de la modernidad indígena boliviana, habían convertido sus demandas sectoriales en un eje central para la refundación del país y la descolonización de la sociedad (Rivera, 2007: 58).

Morales había dado curso a su liderazgo y carrera política como sindicalista en la década de los noventa, hasta alcanzar la dirección de la Federación Especial del Trópico, una de las seis federaciones sindicales de productores de hoja de coca del Chapare. Su protagonismo cobró fuerza ante la implementación de la política “coca cero”. Como él mismo dijo: “A mí me hicieron crecer los errores de los gringos, eso creo sería un gran documental” (Morales, 2014).

“El nuevo gobierno son sectores productores de coca que desde los años 80 han tenido como una de sus principales demandas el libre comercio para la hoja de coca, como un medio más eficaz que la represión para enfrentar la economía ilegal” (Rivera, 2007: 57). Una de las primeras medidas políticas de Morales fue la promulgación de la ley Nº 906, por la cual la hoja de coca dejaba de considerarse un estupefaciente y pasaba a ser “reconocida como patrimonio cultural, originario y ancestral del pueblo boliviano, protegida como recurso natural renovable de la biodiversidad del Estado Plurinacional de Bolivia y como factor de cohesión social” (Art. 906 LGC del EPB). Por efecto de la ley, la Agencia del Departamento de Justicia de los Estados Unidos (DEA) y la de Estados Unidos para el Desarrollo Internacional (USAID) tuvieron que abandonar el país.

Siendo sincero, me decepcioné del Goni, y con el ascenso del Evo me puse contento. Con Walter Chávez [encargado de las campañas electorales y estrategias de comunicación], apoyamos la campaña del MAS, y realicé doce retratos de revolucionarios para exponer. Evo los fue regalando, y así me volví su casero19 . “Gastón, está llegando el Papa, házmelo un retrato de coca. ¿Cuánto me vas a cobrar?”, me decía. Entonces llegamos a un precio X. ¡Barato! En sus catorce años de gobierno hice aproximadamente cien retratos. El primer retrato con hojas de coca que expuso, según él mismo, era de una figura de

55
19 Cliente o vendedor habitual.

indio en la Feria de Sevilla de 1992 20 . También hay registro de que hizo, por ejemplo, un retrato de John Lennon que circuló por varias sucursales de la cadena Hard Rock Café. Gastón, hay un rumor que cuenta que cuando vos le cobraste los retratos a Morales, te preguntó cuántos kilos de hoja de coca habías usado, y te pagó por kilo de hoja de coca, obviando el valor de la obra de arte. ¡Ah!, seguro (risas). Lo que pasa es que los socialistas tomaron el ejemplo de Fidel Castro, que logró legislar los precios de las obras de los artistas, porque en una época se estaban volviendo ricos. Entonces Castro se dio cuenta y dijo que no podían cobrar más de un dólar el centímetro cuadrado.

Al identificarse ideológicamente el gobierno de Morales con la fórmula de Coca Leaves, el poder renueva la eficacia del retrato, género que hacía medio siglo había perdido protagonismo en la historia del arte boliviano. De modo similar, Ugalde recupera el arte por encargo, poniendo a disposición del poder una serie abierta, de extensión virtualmente ilimitada. Ofrece un producto de calidad y buena inserción en un mercado que es a la vez económico y político. Entre los retratados por Ugalde para el gobierno de Evo Morales hay personajes internacionales y locales, como lxs cuarenta héroes y heroínas bolivianxs que, en sus contrariedades y distancias históricas, se juntan y revuelven en las paredes de la casa Grande del Pueblo (2019).

Los retratos de Ugalde fueron eficaces para los propósitos del poder político. Entre los retratados internacionales estuvieron el Papa Francisco, Fidel Castro, Hugo Chávez y el Príncipe Felipe, actual Felipe VI de España. Aunque, por cierto, de mujeres de la contemporaneidad no hizo ninguno. Cuando le pregunto si alguien le hizo algún comentario sobre su retrato, me contesta: El único que me agradeció fue el Papa Francisco. Me envió una carta. En cambio, el príncipe de España seguro ya lo lanzó por la ventana. Entonces están lxs que se sienten representados porque comparten una ideología y lxs que, por lo mismo, y desde luego por la materialidad con la que se los retrató, se sienten ofendidos. Pues considerado desde una perspectiva legalista, es como si te retrataran “al opio”, “a la marihuana” o “a la cocaína”. Vista la serie Coca Leaves retrospectivamente, podrían distinguirse dos categorías de obras: las realizadas con fines políticos (los retratos) y las realizadas con actitud lúdica (el resto). En ambas intenciones, la mímesis y la materialidad de la obra generan ambigüedad de sentidos, dependiendo de la posición ideológica desde donde se mire. Y sobre todo en el caso de los retratos, se ha convertido en un objeto de representación del poder, puesto que en la representación mimética de un personaje político produce una

56
20 Ver: https://www.eldia.com.bo/noticia.php?id=259689&id_cat=356

cierta relación de apariencia, de parecer algo que no se es. La obra así empleada es un medio que visibiliza algo a fin de invisibilizar otra cosa, algo del orden de los “secretos del poder”.

En Bolivia, las clases medias y altas, autopercibidas como “blancas”, adoptan y defienden algunas “cosas de indios”, como ciertos usos de la hoja de coca. Esa mezcla de desprecio e inevitable e inconfesable atracción deja el dilema irresuelto. Desde el exterior, en cambio, la tensión no se llega a ver. Por eso, Ugalde no necesita ni defender ni despreciar la hoja de coca: simplemente la usa en el medio artístico internacional para sus intereses, sin asumir un compromiso político real. En ese sentido, su “decepción” del gobierno de Sánchez de Lozada era el mínimo cambio de actitud que necesitaba para poder convertirse, acto seguido, en proveedor de imágenes de propaganda de Evo Morales.

ALFREDO ROMÁN TU cocaína ES mi ProgrESo (2013), frase sobre textil, 24 unidades

57

UNA CIUDAD ATRAVESADA POR EL IMAGINARIO DEL NARCOTRÁFICO

“La realidad es una diosa de dos caras en la que aparentemente todo está dividido y contrapuesto”

En la línea divisoria entre las “dos Bolivias” –oriente y occidente– y sus grandes imaginarios geopolíticos en permanente confrontación, se encuentra el Chapare, territorio cardinal de cultivo de hoja de coca y uno de los más explotados para la coca excedente (destinada al narcotráfico) bajo el mandato de los poderes políticos de turno. El Chapare es el centro del movimiento cocalero, desde donde el líder sindicalista y luego presidente Evo Morales inició un fuerte proceso de “ruralización de la política y de la propia identidad boliviana”. (Do Alto, 2011: 2)

Esta situación geográfica permite comprender cómo es que el departamento de Santa Cruz se ha ido involucrando en el tráfico de cocaína a lo largo del tiempo. Su extensa selva posibilita la clandestinidad de los negocios ilegales, y la permeabilidad fronteriza facilita el tránsito de pasta base de cocaína a través de la Amazonía boliviana hasta Brasil, segundo país con más consumidores de cocaína del mundo después de Estados Unidos (Hernández, 2019).

En los años 80, Santa Cruz se había convertido en un escenario fundamental del narcotráfico. Prueba de ello es la historia del mencionado Roberto Suárez (1932), hijo de ganaderxs y empresario dedicado a la explotación del caucho, de quien se dice fue responsable del boom de la cocaína y financió el golpe de estado de Luis García Meza. Bautizado “el rey de la cocaína”, construyó un imperio del narcotráfico en la Amazonía boliviana, “asociado con el cartel de Medellín dirigido por Pablo Escobar y la Agencia Central de Inteligencia (CIA) de los Estados Unidos protegida por la corrupción de gobernantes y mandatarios bolivianos” (Levy, 2012: 181). Estas alianzas dieron nacimiento al primer “narcoestado”, como lo denominó Aida Levy, viuda de Suárez, en su libro autobiográfico, en el que revela las particularidades del negocio de su esposo.

58 TU COCAÍNA ES MI PROGRESO (2017 ):

Colocación de la primera loseta en la calle Libertad, septiembre de 1966. Foto de archivo ubicada por Alfredo Román

59
ALFREDO ROMÁN 6 gradoS dE SEParación (2011), esténcil ALFREDO ROMÁN camBio cocaína Por azúcar (2011), sticker de 8 cm de diámetro, 4000 unidades

Durante el segundo mandato de Morales (2010-2015), Alfredo Román (1980) realizó un cuerpo de obra “con una cierta obsesión inconsciente”, como él mismo me dice, por pensar desde el arte la relación de la cocaína con los poderes de turno y el desarrollo urbano de la ciudad de Santa Cruz. Oriundo de Montero, localidad rural situada a 60 km de Santa Cruz de la Sierra, recuerda que: En Montero, la presencia de los narcotraficantes no era algo que sorprendía. Para la gente del lugar estaba todo bien. Era normal ver cómo ciertas familias se volvían ricas de la noche a la mañana, exteriorizando su vida de lujos y extravagancias. Se especulaba que en Montero se encontraban grandes cabezas del narcotráfico. De hecho, un día presenciamos un operativo de captura de alto despliegue: de pronto vimos bajar un helicóptero de la policía cerca de una de las casas del lugar para detener a un tipo. Y se lo llevaron, quién sabe a dónde. Ese episodio dejó una marca en mi memoria.21

Román migró a la ciudad de Santa Cruz para estudiar arquitectura, y ese cambio impulsó de manera espontánea su práctica artística. Hasta antes de la universidad, no sabía qué era el arte, no conocía un museo. Empecé a hacer arte de manera inconsciente, graffiti e intervenciones callejeras sobre todo. De esa manera las preguntas que se hacía sobre la ciudad fueron convirtiéndose en una obra que dialogaba todo el tiempo con el presente.

Román es un observador minucioso del espacio por donde transita. Hace sus obras con una conceptualidad directa, sin artificio, y con materialidades sencillas que permiten su fácil despliegue en el espacio. Soy susceptible a mi entorno, me dejo influenciar por el noticiero, la calle, todo lo que sucede a mi alrededor.

La intervención callejera 6 grados de separación (2011) vincula el presente con un hito histórico de Santa Cruz: la colocación, en septiembre de 1966, de la primera loseta en la plaza principal, símbolo del inicio de un proceso de urbanización vertiginoso, no planificado y brutal. Por medio de una imagen de archivo, el artista localiza la loseta y, con ayuda de un esténcil, dibuja sobre ella la fórmula química de la cocaína.

Esta fórmula, que Román reproduce fielmente, al quedar dibujada sobre el pavimento hace pensar en la silueta de un cadáver tal como la traza la técnica de identificación policial forense. Una técnica que, curiosamente, en la realidad no se hace porque podría entorpecer las pruebas, pero que la cinematografía ha afianzado en su reiteración. La imagen sugiere además otras siluetas, empleadas en Latinoamérica como parte de diversas estrate-

21 Entrevista telefónica con el artista, 24 de septiembre de 2020. El resto de las citas proceden de la misma fuente.

61

gias estéticas de lucha política, como las que denunciaban la desaparición de personas durante las dictaduras, y que hoy denuncian la desaparición forzada como política de estado. Esta fórmula de la cocaína convertida en siluetazo por simple relocalización, refiere a otras desapariciones como política del poder: a todo aquello que, en la Santa Cruz contemporánea, construida a machetazos en nombre del “progreso”, fue eliminado brutalmente: los ecosistemas nativos, las vidas de las personas desplazadas por la concentración de la propiedad de la tierra y por la violencia del narcotráfico, la fe ciega en una cultura del consumo. Habría que ser ciego para no ver que la ciudad tuvo un gran crecimiento a partir de los tiempos de bonanza de la cocaína. Antes la ciudad crecía con dificultades, pero el narcotráfico fue el puntapié inicial de aquel proceso que nos gusta llamar “progreso”.

Tu cocaína es mi progreso (2011) es tanto el título como la materialidad de la obra: un enunciado eficaz impreso sobre un total de veinticuatro camisetas, que se vendieron a un valor simbólico de veinte dólares. Según recuerda el artista, las personas que las compraron lo hicieron con una mezcla de intención política y de humor tragicómico.

La obra se inspira en la popular frase “Tu envidia es mi bendición”, tomada de una de las pegatinas que se ven en los vidrios traseros del transporte público. El artista introduce en el circuito cotidiano de consumo su propia frase como si se tratara de un eslogan local, puesto que, según él, la palabra “progreso” es como una bandera de Santa Cruz, y la cocaína, una presencia incómoda que no se puede negar. Con eso no quiero decir que Bolivia no sea un país trabajador ni productivo, pero la realidad es que en paralelo hay este negocio millonario, y el movimiento económico que genera se manifiesta en la cotidianidad de la ciudad.

El departamento de Santa Cruz es el centro de la industria azucarera boliviana. Seis ingenios garantizan el consumo interno y exportan los excedentes. Proceso de Cambio (2011) es una respuesta a un evento específico, descrito así por algunos titulares de prensa: “‘Hay escasez de azúcar, no desabastecimiento’, dicen los empresarios” (BBC, 2011), “Crece la escasez de azúcar y protestas contra el gobierno” (eabolivia, 2011), “¿Crisis alimentaria? Bolivia ya sufre escasez e inflación” (América Economía, 2011). La escasez se debía a dos factores. Por un lado, la deforestación y el desgaste del suelo causados por el cultivo de la caña, que tiene una vida útil de entre quince y veinte años, al cabo de los cuales se abandona porque ya no es rentable. Por el otro, el incremento del contrabando debido a los altos precios internacionales, lo que a su vez provocó la escasez en el ámbito nacional.

62

Había escasez de azúcar porque el negociante especulaba con que, si el kilo de azúcar en el mercado internacional costaba dos dólares y acá 50 centavos, el negocio consistía en revender. Así estábamos viviendo el Proceso de Cambio con Morales, y en las calles mucha gente comparaba la situación con Venezuela, por las filas que la población hacía por azúcar. Recuerdo que, como gran noticia, la televisión anunciaba: “El supermercado venderá un kilo de azúcar por persona”. Y la siguiente noticia decía: “Desmantelan 24 laboratorios de cocaína en la ciudad de El Alto”. Era muy extraño. Antes, comúnmente, se esperaba encontrar estos laboratorios en medio de la selva. Nos estaba faltando azúcar, pero la cocaína al parecer nos sobraba. Había mucho de esto y poco de lo otro. Entonces imaginé que podía ser un intercambio justo, pues hay ciertas analogías entre ambos productos, como la apariencia y la dependencia que generan. El nombre de la obra juega con un doble sentido. Proceso de Cambio era el eslogan con el que el gobierno de Morales se refería a sus medidas de transformación política. El artista, sin embargo, sugiere otro proceso de cambio: el de la transformación de los territorios y las formas de elaboración de PBC, con la tendencia narco de instalar laboratorios principalmente en áreas urbanas,

ALFREDO ROMÁN igUal (2011) Acción realizada con nueve bolos de hojas de coca masticada, video digital, 3’ 8’’, color, sonido.

63

(2013), boceto de obra no realizada como El Alto y Santa Cruz. Fábricas montadas en viviendas, pues no se necesita más que dos habitaciones, donde se instalan máquinas para prensar la materia prima y se puede operar en grupos reducidos. Por eso su detección es más compleja, aunque a veces, en el ejercicio de prueba y error, las fábricas terminan siendo identificadas por el estruendo que una explosión provoca. En la acción Igual (2011), Román pinta sobre un muro un signo de igual, usando a modo de tinta nueve bolos de hojas de coca masticada (“jach’us”, en aymara) por guardias de seguridad de las instituciones del poder del centro de Santa Cruz, que el artista había adquirido al precio de ocho dólares. Al transitar por el centro, el artista solía ver restos de estos bolos, de masa verde y compacta, tirados al borde de las aceras, como formando parte del paisaje. La apariencia del bolo ya masticado es similar al residuo que deja la coca aplastada en la elaboración de PBC, pues en ambos procesos se estruja la hoja para obtener sus beneficios, aunque con fines opuestos.

64
ALFREDO ROMÁN llUvia dE HojaS dE coca

El signo de igual es también la bandera de Santa Cruz, hecha de una línea de cocaína y dos líneas de hojas de coca. Y es el rastro de un cuerpo impactado sobre el muro a causa de una balacera. Y se parece a las plantaciones de hoja de coca cortadas por la carretera, como una mancha sobre la selva vista desde una perspectiva aérea. En cualquiera de los tres casos, la imagen final es inmunda, denigrada, pringada y políticamente conflictiva.

Lluvia de hojas de coca (2013) es un boceto de obra no realizada, propuesta por primera vez para la Bienal Internacional de Arte Siart. La idea era arrojar sobre el centro de La Paz una lluvia de hojas de coca desde una avioneta, en referencia a la fuerte relación de la población andina con la hoja de coca, elemento imprescindible para la vida diaria y con un valor espiritual y sagrado. La lluvia de coca podría entonces interpretarse como un milagro mediante el cual un dios da a su pueblo abundancia y prosperidad.

En 2019, el artista vuelve a proponer la obra para la Bienal Internacional de Arte de Santa Cruz, a propósito de los incendios forestales que arrasaron con la selva en Brasil, Paraguay y Bolivia. Las causas de los incendios nunca se esclarecieron, pero en Bolivia se corría el rumor de que habían sido provocados para poder expandir los cultivos de hoja de coca. Una de las ciudades más afectadas por la contaminación del humo del fuego fue Santa Cruz, por lo que una lluvia significaba una posibilidad de que el fuego cesara. Que en vez de agua lloviera coca era una provocación a las medidas del gobierno de Morales, puesto que una de las problemáticas que lo socavaron fue que desde un inicio rechazó la ayuda internacional para apagar el fuego.

e PEl signo de igual es también la bandera de Santa Cruz, hecha de una línea de cocaína y dos líneas de hojas de coca. Y es el rastro de un cuerpo impactado sobre el muro a causa de una balacera. Y se parece a las plantaciones de hoja de coca cortadas por la carretera, como una mancha sobre la selva vista desde una perspectiva aérea. En cualquiera de los tres casos, la imagen final es inmunda, denigrada, pringada y políticamente conflictiva.

65

En Santa Cruz, sin embargo, una lluvia de coca no sería interpretada como un milagro, puesto que hay una marcada diferencia en cómo cada territorio se relaciona con la planta. Como cuenta Wara, la yatiri: Todos podemos acceder a la materia, al cuerpo de la coca. Pero, por ejemplo, cuando estuve en el oriente boliviano, la gente pijchaba con bolos inmensos de coca, desde bien jovencitos sus cachetes llenos, pero cuando yo hacía lo mismo, había una mala mirada de ciertas señoras hacia mi persona. Porque resulta que allá se ha perdido toda relación con el espíritu de la planta misma. Entonces, quien pijcha también bebe, y por tanto el pijchar está relacionado con la mala vida, pues su uso se concentra en disipar el hambre y el sueño y tener ánimo. Un efecto más físico, sin relación con el espíritu como tal. Eso me llamó la atención, porque estamos hablando de una tierra cálida de donde viene la coca, y yo diciendo en el altiplano no la vemos crecer pero aun así la defendemos.

Las obras de Ugalde y Román están marcadas por los dos grandes imaginarios geopolíticos del occidente y el oriente. Ugalde utiliza el lenguaje del mercado del arte internacional con ligeros matices locales. Si ves la obra desde el exterior, no te ofende. Hay un cierto exotismo que la resguarda. Parafraseando a Muratorio (1994), el artista selecciona aquellos elementos del pasado y del presente que le permiten representar una imagen de lo local asimilable desde afuera. Por otro lado, la serie Coca Leaves da cuenta de la estrecha relación entre neoliberalismo, drogas y producción de capital, a la vez que devela la manera “chuta” (ilegal) en que nos relacionamos con el mundo globalizado, por poseer una de las materias primas más codiciadas del capitalismo gore. Bolivia, tercer productor mundial de hoja de coca, hasta en eso termina siendo un “país marginal en el negocio ilícito más lucrativo” (Valverde, 2016: 223).

La obra de Alfredo Román entiende el arte como un espejo que revela el verdadero rostro de una realidad. No tiene reparo en retratar un país, una ciudad, una economía atravesadxs por la invisible presencia del narcotráfico. Muestra la otra cara de la moneda, en la que Santa Cruz, centro empresarial, de la agroindustria y de la explotación de minerales, es territorio de tránsito y refinación de pasta base, “donde el uso de la violencia se convierte en un medio de empoderamiento económico” (Valencia, 2016: 29). No importan lxs extractorxs ni lxs narcotraficantes. El territorio puede ser envenenado, explotado hasta el límite o destruido a costa de un bien mayor, representado por el “progreso” económico. El movimiento cocalero no opera de una manera muy diferente: se empeña en defender la hoja de coca camuflando una ambición económica basada en la sobreexplotación de la tierra.

66

NUEVAS RELACIONES DE FUERZA, NUEVOS

ESTEREOTIPOS

“No una imagen justa, sino ‘justo’ una imagen”

Esta investigación es el resultado de un proceso transversal y entretejido, que fue tomando forma en la medida de sus circunstancias. Uno de sus principales antecedentes fue la invitación que me hizo la curadora Maira Gamarra en 2018 a participar en su proyecto “Mira latina”, basado en el intercambio entre fotógrafos de Brasil y Bolivia, con la idea de discutir

Arriba y páginas 69 y 70: CARLA SPINOZA rE-invEnción (2018), fotografía digital, medidas variables

67 COCA, COCA-COLA
COCAÍNA:
Y

Latinoamérica desde sus formas de representación y visualidades. En el diálogo con ella y con Taisa Figueredo, fotógrafa brasileña y mi dupla en el proyecto, surgió la pregunta de cómo “lo indígena” estaba siendo representado en nuestros países.

Me vi, entonces, en la necesidad de hacerme esa pregunta desde mi realidad de mujer, clasemediera, mestiza, con educación formal y varios privilegios, que no puede definirse por su “autenticidad” como boliviana porque, en el exterior, bolivianxs son lxs indixs. Y porque en La Paz, ciudad aymara donde no integro la mayoría india, apropiarme de esa identidad no sería “auténtico”. Pero hay muchas cosas de las que sí me he apropiado, porque vivo en La Paz, porque ese es mi cotidiano y mi cultura, y participo de ella. No es una relación forzada, pero tampoco es totalmente mía.

Aymara es mi ancestralidad solo en parte, y hay nulo registro de ella en mi familia. Antes de que naciera mi padre, mi abuelo había decidido borrar todo rastro de su legado. De parte materna hay una historia a medias, con la cual aún tengo cercanía y por tanto me posibilita seguir explorando. Esos indicios, creo, hablan más de lo que callan, pero estoy segura de que toda la información que señalan todavía está a mi alcance. Y está también en la memoria de mi cuerpo, un lugar lleno de indicios del pasado.

En el camino de autodescubrimiento para poder imaginar mi árbol genealógico, he elegido como acompañantes la fotografía y el Tarot, lenguajes visuales que son para mí como brújulas. La lógica a desmontar es esa que dice que mientras menos posibilidad de consumo tengas y más rural seas, más indígena eres, y cuanto más urbana y consumista te vuelvas y te acerques así a la clase dominante, más blanca serás. Esta manera de autopercibirte va blanqueando tu historia, nuestra historia.

68 críticamente
MENOS POSIBILIDAD
CONSUMO
RURAL SEAS,
CUANTO
CONSUMISTA
LA LÓGICA A DESMONTAR ES ESA QUE DICE QUE MIENTRAS
DE
TENGAS Y MÁS
MÁS INDÍGENA ERES, Y
MÁS URBANA Y
TE VUELVAS Y TE ACERQUES ASÍ A LA CLASE DOMINANTE, MÁS BLANCA SERÁS. ESTA MANERA DE AUTOPERCIBIRTE VA BLANQUEANDO TU HISTORIA, NUESTRA HISTORIA.

Es desde este lugar vital que decidí hacerme la pregunta por las representaciones de lo indígena en Bolivia en términos sociopolíticos: quiénes eran, cómo y dónde estaban lxs indixs en nuestra contemporaneidad, y cuán india era esa contemporaneidad después de catorce años del MAS en el gobierno. La serie fotográfica que realicé, titulada Re-invención (2018), fue una primera tentativa de indagar en uno de los muchos planos implicados en la pregunta. Inicié el proyecto construyendo un archivo fotográfico con las representaciones mediáticas de Evo Morales como máximo representante del movimiento cocalero y presidente del Estado Plurinacional de Bolivia. Un nuevo personaje político que llevó a una reconfiguración de la identidad local, permitiendo “reinventar una identidad marginada de la cual antes se buscaba escapar pero que en la actualidad se convertía en algo provechoso, al menos en ciertos contextos” (Arnold y Spedding 2005: 72).

69

La serie consta de tres fotos. En la primera, el personaje es algo así como un héroe local, distinguido por haber realizado algo extraordinario para el bien común y convertido en símbolo cultural. En pleno amanecer, el cuerpo heroico lanza las hojas de coca al aire, en un acto ritual de celebración sobre la divinidad del nevado Illimani, icono de La Paz y “superego cultural” (Hinderer, 2019: 26). A diferencia de las rimbombantes imágenes de lxs héroes y heroínas foránexs, el de mi foto es un hombre común, vestido con ropa urbana casual muy específica: el pantalón negro, la polera negra y las botas negras que usa el soldado cuando se saca el uniforme. Esto, para mí, es una referencia a la histórica relación de lxs militares con el narcotráfico, al hecho de que, por custodiar las fronteras externas, usan a discreción su poder sobre lxs narcos y se reparten con ellxs las ganancias.

70

En la ropa de mi personaje hay otro elemento distintivo: el chullo 22 con la punta hacia arriba, símbolo de hombre de comunidad joven y soltero. Además, mastica hoja de coca, como se ve por el bulto en el cachete izquierdo. Y porta una guirnalda también de hoja de coca, como las que el movimiento cocalero usa para homenajear a los personajes sobresalientes. La capa recuerda a la capa de Batman y su poder protector, mientras que el antifaz es más ambiguo, pues lo usan tanto héroes y heroínas como villanxs.

La segunda foto alude a un nuevo poder entramado en la corporalidad de un hombre aymara, especie de dandi en gesto de revancha, con la mirada firme hacia el enemigo. Un arquetipo de persona refinada, con una fuerte personalidad y poseedora de nuevos valores. En ese ambiente añejo, de mobiliario republicano, pudo haberse deliberado sobre el destino de este país. A sus espaldas, una biblioteca, símbolo del conocimiento del hombre blanco y occidental, representación de la letra muerta del pasado político. A su izquierda, sobre el escritorio, un libro con hojas en blanco alude a la intención de escribir una nueva historia, una nueva constitución. A su derecha, un vaso de whisky, bebida de élite construida por la publicidad como elixir de poder para la relajación masculina, acompañada por una sutil línea de cocaína, que este personaje controla en términos simbólicos, políticos y económicos.

En la tercera foto aparece el mismo hombre joven vestido de manera informal, en una escena de ciudad nocturna. Solitario, se dispone a disfrutar de su Coca Cola en un ex McDonald’s, cadena que, por cierto, fracasó en Bolivia por vender comida insípida, cara y sin ají. El encuadre de la foto y el gesto del personaje intentan simular la publicidad “Taste the Feeling”, de Coca Cola, pero también es un remake de una foto de Evo tomando una Coca Cola, con su poncho y su chullo, ambas imágenes del placer del consumo erotizado-idealizado de la vida occidental, símbolo de felicidad y modernidad.

En la Bolivia de inicios del siglo XX, lxs indixs “representaban la parte más retrógrada de la ciudadanía y, por supuesto, la más peligrosa para un Estado que pretendía modernizarse”. (Cárdenas, 2018: 487) Una Bolivia india negada, fetichizada, pasiva y ahistórica, de la cual aún nos estamos desprendiendo. Pero que el capitalismo contemporáneo, como alega Muratorio (1994), populariza como objeto de consumo, promoviendo un exotismo indígena como mercancía y como parte del paisaje hegemónico.

Mirando estos retratos escenificados, me pregunto por mi relación con este personaje, con este nuevo paradigma de joven indígena-occidental, que se re-

22 Gorro de lana con orejeras, hecho de lana y fibras sintéticas, de uso extendido por toda la zona andina central.

71

laciona con el poder como poseedor o como desposeído. Pienso entonces que veo un esbozo de un “indígena progre” actuando en un capitalismo andino, un modelo de hombre moderno que marcó una nueva generación de masculinidades, un indígena “auténtico” que desde su autenticidad ha justificado todos los abusos de poder. Un personaje atrapado en un narcisismo que se expresa en un “espectáculo de masculinidad de carácter violento-génico” (Segato, 2018).

Por supuesto que la referencia real de este personaje ficticio es Evo Morales, cuya identificación con el patriarcado es innegable. Que su gobierno haya producido cierta redistribución de la riqueza no significa que haya ido en contra del proyecto de acumulación de capital. Lo hizo violentando los recursos naturales, traicionando a la coca –cuyo cultivo ha invadido las reservas naturales– y a las mujeres, tanto en su vida privada como en su vida pública, empezando por el maltrato mediático a sus excompañeras Gabriela Zapata y Noemí Meneses, y finalizando con la virtual expulsión del MAS de su compañera política Eva Copa, que se animó a expresar sus diferencias con el líder. A todas las desprestigió públicamente como muestra de su poder de opresión sobre el mundo femenino.

Por tanto, tomar como eje un cuerpo indio en gestos de poder, placer y heroísmo no solo da cuenta de un tipo de personaje: también propone una imagen alternativa y sin embargo pendiente, que no busca reemplazar lo viejo sino imaginar una subjetividad crítica. En su condición artificiosa, que explota los clichés y combina elementos de la propia identidad étnica con elementos occidentales, esta serie es un intento –el primero, como decía antes– de poner en crisis la imagen congelada y exotizante con la que se ha representado “lo indio”, un intento de desmantelar desde la ficción esa mirada heredada de la colonización, y perpetuada por una parte importante de la tradición pictórica y por el costumbrismo de la fotografía.

PPienso entonces que veo un esbozo de un “indígena progre” actuando en un capitalismo andino, un modelo de hombre moderno que marcó una nueva generación de masculinidades, un indígena “auténtico” que desde su autenticidad ha justificado todos los abusos de poder. Un personaje atrapado en un narcisismo que se expresa en un “espectáculo de masculinidad de carácter violento-génico”

72

ACHÁ, G. (2014). Privación de libertad por delitos de drogas: el caso boliviano. La Paz: CEDD.

ACOSTA, A. (2009). La maldición de la abundancia. Quito: Abya Ayala.

AGUILAR, F. (2011). “Reflexiones filosóficas sobre la tecnología y sus nuevos escenarios”. En Sophia (11), 123-74. https://www.redalyc.org/ articulo.oa?id=441846104007.

A LMEDA, E. (2003). Mujeres encarceladas. Barcelona: Ariel.

A NÓNIMO. (29 de marzo de 2020). “Repensar el Apocalipsis: Manifiesto Indígena Anti-futurista”. https:// www.elijodignidad.org.

A NÓNIMO. (11 de octubre de 2018). “Cruzó la frontera con cocaína para pagar la quimioterapia de su hijo, la detuvieron y suplica que la liberen para despedirse”. Infobae. Buenos Aires. https://www.infobae.com/ sociedad/policiales/2018/10/11/ cruzo-la-frontera-con-cocaina-para-pagar-la-quimioterapia-de-su-hijo-la-detuvieron-y-suplica-que-la-liberen-para-despedirse/ . Anónimo. (29 de diciembre de 2019). “Tres mujeres que traficaban cocaína en el estómago mueren en Venezuela”. La Opinión. La Paz. https://www.laopinion.com. co/judicial/tres-mujeres-que-traficaban-cocaina-en-el-estomago-mueren-en-venezuela-189476

A NÓNIMO. (3 de julio de 2019). “La única empresa de EEUU que importa hojas de coca con autorización de

la DEA”. La Opinión. La Paz. https://laopinion.com/2018/10/04/ por-que-la-dea-permite-a-stepancompany-una-empresa-de-ee-uuimportar-hoja-de-coca-de-perupara-la-fabricacion-de-cocaina/

A NÓNIMO. (9 de febrero de 2015) “Hallan muerta a adolescente con 104 cápsulas de cocaína en el estómago”. La Razón. La Paz. https://www.la-razon.com/lr-article/hallan-muerta-a-adolescente-con-104-capsulas-de-cocaina-en-estomago/.

A NÓNIMO. (6 de enero de 1996). “Las mujeres marchan, los hombres deciden”, La Razón, La Paz.

A NÓNIMO. (18 de enero de 1996). “Las cocaleras cuentan lo que les pasa: testimonios llegados desde el trópico”. La Razón. La Paz.

A NÓNIMO. (20 de diciembre de 1995). “Policía desbarata marcha de mujeres cocaleras”, La Razón, La Paz.

A NÓNIMO. (6 de febrero de 2011). “¿Crisis alimentaria? Bolivia ya sufre escasez e inflación”. América Economía, La Paz. https://www. americaeconomia.com/economia-mercados/crisis-alimentaria-bolivia-ya-sufre-escasez-e-inflacion

A NÓNIMO. (16 de enero de 2011) “Hay escasez de azúcar, no desabastecimiento dicen: los empresarios”. En BBC News, Bolivia. https:// www.bbc.com/mundo/ultimas_ noticias/2011/01/110116_ultnot_ azucar_bolivia_mr

A NÓNIMO. (17 de mayo de 2019). “Almagro da una alegría a Evo Morales y desata iras de la oposición

73 OBRAS CITADAS

boliviana”. https://www.efe.com/ efe/usa/america/almagro-dauna-alegria-a-evo-morales-y-desata-iras-de-la-oposicion-boliviana/50000103-3979047.

A NÓNIMO. (28 de julio de 2019). “Silvia llevaba cocaína en su estómago para entregar en Chile”. Correo del Sur. Sucre. https://correodelsur.com/seguridad/20190728_silvia-llevaba-cocaina-en-su-estomago-para-entregar-en-chile.html

A NÓNIMO. (5 de enero de 2011). “Crece la escasez de azúcar y protestas contra el gobierno”. EA Bolivia. La Paz. https://www.eabolivia. com/social/5773-crece-la-escasez-de-azucar-y-protestas-contra-el-gobierno.html

A NÓNIMO. (28 de julio de 2019). “Se le revienta un ovoide en el estómago y muere en el bus; la droga debía llegar a Chile”. El Deber. Santa Cruz de la Sierra. https://eldeber. com.bo/bolivia/se-le-revientaun-ovoide-en-el-estomago-ymuere-en-el-bus-la-droga-debiallegar-a-chile_135841

A NÓNIMO. (12 de septiembre de 2011) “Arrestan a boliviana con cápsulas en su vagina”. El Día. Santa Cruz de la Sierra. https://eldia.com.bo/index.php?cat=162&pla=3&id_articulo=73487.

A NÓNIMO. (12 de julio de 2011). “Detienen a una mujer boliviana que llevaba 100 cápsulas de cocaína en su cuerpo”. El Día. Santa Cruz de la Sierra. https://www. eldia.com.bo/index.php?cat=389&pla=3&id_articulo=6815.

A NÓNIMO. (18 de julio de 2011). “Una mujer transportaba 70 cápsulas de cocaína adosadas al cuerpo”. El Día. Santa Cruz de la Sierra. https://eldia.com.bo/index. php?cat=280&pla=3&id_articulo=68652

A NÓNIMO. (6 de agosto de 2015) “Arrestan a 2 bolivianas con cápsulas de cocaína”. El Día. Santa Cruz de la Sierra. https://eldia.com.bo/index.php?cat=162&pla=3&id_articulo=177680

A NÓNIMO. (20 de junio de 2019). “Cae banda que usaba tragonas para enviar cocaína hasta Cuba”. El País. Tarija. https://elpais.bo/ seguridad/20190620_cae-banda-que-usaba-tragonas-para-enviar-cocaina-hasta-cuba.html.

ANÓNIMO. (6 de marzo de 2020). “Sólo el 30% de mujeres del penal de Obrajes tiene sentencia”. Noticias Fides. La Paz. https://www. noticiasfides.com/nacional/sociedad/solo-el-30-de-mujeres-depenal-de-obrajes-tiene-sentencia-403795

A NÓNIMO. (9 de mayo de 2018). “Descuartizan a “mula” para rescatar droga”. Radio San Gabriel Digital. El Alto. https://www.radiosangabriel.org.bo/rsg/?q=es/ node/513

A NÓNIMO. (5 de septiembre de 2019) “Muere ‘tragona’ que transportaba 14 cápsulas de droga líquida”. Red Uno. La Paz. https:// www.reduno.com.bo/nota/ muere-tragona-que-transportaba-14-capsulas-de-droga-liquida-201995102751.

74

NÓNIMO. (Sin fecha) “Los eslabones más débiles de la cadena del narcotráfico” El Deber, El Mercurio y La Estrella de Iquique en alianza con Connectas. https://www. connectas.org/especiales/carne-de-canon/capitulo-1.html

A RNOLD, D., Y A. SPEDDING (2005). Mujeres en los movimientos sociales en Bolivia. La Paz: CIDEM / ILCA.

A NTONY, C. (2006). Estudio sobre violencia de género. Las mujeres transgresoras. Panamá: Universitaria de Panamá.

--------------. (2007). “Mujeres invisibles: Las cárceles femeninas en América Latina”. En Nueva Sociedad (208), 73-85.

AYLLÓN, V. (2019). “Una habitación pintarrajeada”. En L. Colanzi (ed.). La Desobediencia (pp. 135-60). Santa Cruz de la Sierra: Dum Dum.

BAUMAN, Z. (2006). Comunidad: En busca de seguridad en un mundo hostil. Madrid: Siglo XXI.

CABNAL, L. (2019). El relato de las violencias desde mi territorio cuerpo-tierra. En tiempos de muerte: cuerpos, rebeldías, resistencias. Buenos Aires: Consejo Latinoamericano de Ciencias Sociales.

CÁRDENAS PLAZA, C. C. (2018). “La chola en el imaginario de la ciudad: decolonialidad y resistencia en Los Andes bolivianos”. En Estudios Artísticos: revista de investigación creadora, 4 (4), 76-87.

CARTER, W., Y M. M AMANI. (1986). Coca en Bolivia. La Paz: Juventud.

CONTRERAS, F. (2017). “Estudio sobre los planteamientos teóricos y metodológicos de los estudios

visuales”. En Arte, Individuo y Sociedad, 29 (3), 483-499.

COORDINADORA DE LAS SEIS FEDERACIONES

DEL TRÓPICO DE CBBA. (3 de mayo de 2009). “La nueva marcha de cocaleras se iniciará desde la ciudad de Cochabamba, para evitar la acción de organismos de represión, no queremos más que gringos…”. https://www.facebook.com/1112645912226973/ posts/1246337082191188/.

DÍAZ, C. (2000). Crónica: Del boom de la coca al ¡bang! de la cocaína. La Paz: Greco.

DIDI-H UBERMAN, G. (2018). Sublevaciones. Ciudad de México: Museo Universitario de Arte Contemporáneo, UNAM.

DO A LTO, H. (2011) “Un partido campesino en el poder: una mirada sociológica del MAS boliviano”. En Nueva Sociedad, julio-agosto de 2011. https://www.nuso.org

FEDERICI, S. (2015). Calibán y la bruja: Mujeres cuerpo y acumulación originaria. Buenos Aires: Tinta Limón.

FLUSSER, V. (2017). El universo de las imágenes técnicas: Elogio de la superficialidad. Buenos Aires: Caja Negra.

G ALLARDO, M. F. (2017). “CaminarES: crónicas de sentidos”. En Tesis de maestría, Universidad Andina Simón Bolívar, Sede Ecuador. https://repositorio.uasb.edu.ec/ handle/10644/5972

GÓMEZ, G. (2003). Las prisiones de Eva: Mujer y cárcel en el siglo XIX. Madrid: Universidad Complutense.

HERNÁNDEZ, A. (2019). Brasil, el segundo mayor consumidor de cocaína del

75 A

mundo, y uno de los más violentos. En https://www.dw.com/es/ brasil-el-segundo-mayor-consumidor-de-coca%C3%ADna-delmundo-y-uno-de-los-m%C3%A1sviolentos-parte-i/a-50169426.

HINDERER, M. (2019). “El Illimani y la medida de todas las cosas”. En M.I. Villagómez (ed.), Illimani In Situ (pp. 26-27). La Paz: DR.

LEVY, A. (2012). El rey de la cocaína: mi vida con Roberto Suárez Gómez y el nacimiento del primer narcoestado. Buenos Aires: Random House Mondadori.

M ARTÍN BARBERO, J., Y S. CORONA. (2017). Ver con los otros: comunicación intercultural. México: Fondo de Cultura Económica.

M ÉRIDA, L. (1996). Mujeres cocaleras marchando por la vida. Bolivia: Centro de Comunicación Juan Wallparrimachi. DVD.

M ADRAZO GONZÁLEZ, Z. et al. (2007). “Síndrome de Body Packer por intoxicación por cocaína”. En Revista Española de Enfermedades Digestivas, vol. 99, num. 10, 620-621. http://scielo.isciii.es/ scielo.php?script=sci_arttext&pid=S1130-01082007001000017&lng=es&nrm=iso.

MORALES, E. (22 de enero de 2015). “Discurso del Presidente Evo Morales en la Ceremonia Ancestral”. Tiwanaku. https://www.youtube.com/watch?v=gLITyW5DsTE&t=17s.

--------------. (2014). “Presidentes de Latinoamérica: Evo Morales”. Canal Encuentro https://www.youtube.com/watch?v=YwhxnPZlXA0

M URATORIO, B. (ed.). (1994). “Discursos y silencios sobre el Indio y la Conciencia Nacional ” En B. Muratorio (ed.) Imágenes e imagineros: representaciones de los indígenas ecuatorianos, siglos XIX y XX. Quito: Flacso Ecuador, 9-25.

N IXON , R. (2013). Slow Violence and the Environmentalism of the Poor. Cambridge, Massachusetts y Londres: Harvard University Press.

O NFRAY, M. (2016). Teoría del viaje. Poética de la geografía. Buenos Aires: Taurus.

PAREDES, A. (1975). Leyendas de Bolivia. La Paz: Los Amigos del Libro.

PAZ M OSCOSO, V. (2016). Roberto Valcárcel. Renaming Repression and Rehearsing Liberation in Contemporary Bolivian Art . (Tesis de doctorado no publicada). School of Philosophy and Art History, University of Essex, Colchester.

P OOLE , D. (2000). Visión, Raza y Modernidad. Una economía visual del mundo andino de imágenes . Lima: Sur Casa de Estudios del Socialismo.

R IVERA G ARZA , C. (2016). Había mucha neblina o humo o no sé qué. Ciudad de México: Random House.

R IVERA C USICANQUI , S. (2007). “Una mercancía indígena y sus paradojas: la hoja de coca en tiempos de globalización”. En Revista Asuntos Indígenas Primer año de presidencia de Evo Morales , IWGIA Unesco. https:// www.iwgia.org/images/publications/0309_AI_1-2_2007_Evo_ Morales.pdf, 56-70.

76

ROLNIK, S. (2018). “¿Cómo hacernos un cuerpo?”. En Gago, V. et al. 8M Constelación feminista: ¿Cuál es tu huelga? ¿Cuál es tu lucha? (pp. 10931). Buenos Aires: Tinta Limón.

ROCHA, J. (9 de enero de 1996). “Mujeres cocaleras en la larga marcha a La Paz”. Ips noticias. http://www. ipsnoticias.net/1996/01/bolivia-mujeres-cocaleras-en-larga-marcha-a-la-paz/.

RONCKEN, T. (1 de agosto de 1997). “Bolivia: La impunidad y el control de la corrupción en la lucha antidrogas”. En Transnational Institute. https:// www.tni.org/my/node/11981.

SALAZAR ORTUÑO, F. (2008). De la coca al poder: políticas públicas de sustitución de la economía de la coca y pobreza en Bolivia (1975-2004) (pp. 137-238). Buenos Aires: Clacso.

S EGATO, R. (2016) La guerra contra las mujeres. Madrid: Traficantes de Sueños.

--------------------. (2014). “Las nuevas formas de la guerra y el cuerpo de las mujeres”. En Sociedade e Estado, 29 (2), 341-371. https://doi.org/10.1590/S010269922014000200003

-------------------. (19 de octubre de 2018) “Refundar el feminismo para refundar la política”. (Ponencia). En “Congreso Internacional Cuerpos, despojos, territorios: vida amenazada”, Universidad Andina Simón Bolívar. Quito.

SOLER, C. (2004). Declinaciones de la angustia. Curso 2000-2001. Barcelona: Librería Xoroi.

SPEDDING, A. (2008). “Han tomado mucho mate de wiphala: Reflexiones sobre el indigenismo contemporáneo”. En Memoria IV Congreso Nacional de Sociología Tema Crisis Estatal y Procesos Sociales de Cambio 2003-2007 (pp. 244-72). La Paz: IDIS-UMSA.

VALENCIA, S. (2012). “Capitalismo gore y necropolítica en el México contemporáneo”. En Grupo de Estudios de Relaciones Internacionales GERI-UAM (19), 83-102.

------------------------. (2016). Capitalismo gore: control económico, violencia y narcopoder. Ciudad de México: Paidós.

VALVERDE, C. (2016). Coca, territorio, poder y cocaína. Santa Cruz: El País.

VICEPRESIDENCIA DEL ESTADO PLURINACIONAL DE BOLIVIA. (8 de marzo de 2017). Ley general de la coca Art. 23 Nº 906/2017. https://www. vicepresidencia.gob.bo/El-presidente-Evo-Morales-promulgo-la-Ley-General-de-la-Coca -----------------------------------. (28 de diciembre de 1998). Ley 1008 Régimen de la Coca y Sustancias Controladas Art. 34 Nº 1008/1998. https://www.vicepresidencia.gob. bo/El-presidente-Evo-Morales-promulgo-la-Ley-General-de-la-Coca.

77
ALFREDO ROMÁN igUal (2011)

1 Título de una canción de After Crying, banda de rock progresivo húngara.

79

Abrir el socavón

Regresar al interior de la tierra, sumergirse en la vastedad de una materia que se hace puente con un pasado trágico y un presente incierto. ¿Cuánto tiempo hemos pasado los seres humanos buscando señales en los lugares que nos rodean?

Anteayer me imaginaba dentro de un pozo de petróleo.

El otro día pensaba que las piedras también cantan, cantan en notas graves. Pensaba que se desprenden de las montañas y se dejan llevar por los ríos, que desarman las barreras del horizonte de la producción humana y se desenvuelven autónomas, sincopadas con peces y grillos en un canto desbordante y estruendoso.

Pensaba que también cantan ante la erosión, ante la lluvia y el viento, que claman y calman los designios del ser humano. Ayer me imaginaba dentro de una inmensa bola de cristal, observando el futuro promisorio de la modernidad. El otro día lagrimeaba pensando en cientos de miles de canicas absorbidas por un agujero negro en medio del Salar de Uyuni, como si se tratara de una gran pieza de Anish Kapoor en la blancura del cubo blanco. Solo que esta vez el cubo blanco es una vastedad de sal y el agujero negro no es otra cosa que la historia consumida de los extractivismos.

Anteayer imaginaba una carretera que es un puente de cientos de kilómetros que pasó por encima del TIPNIS, pero me recuerdo que los puentes también son construcciones que desatan nuevos paisajes. En ese torbellino de imágenes futuristas, brutalistas, llenas de concreto, que doman la Selva y los pueblos, me preguntaba por las obras fotográficas de autorxs

81

extranjerxs que necesitan de esta idea macro del mundo para sostener que el mundo ya no es lo que dejamos atrás, sino lo que viene por delante –de la pandemia, de la inestabilidad de los seres humanos– y por encima de las cascadas y cataratas teñidas de colores. Estos excesos los justificamos desde las penumbras de la conciencia humana. Y me pregunto si el arte puede ser un puente entre la extracción de ideas y la extracción de materiales. ¿Será el arte una transacción? ¿Será esa transacción una extracción sana de imágenes, ideas y poéticas que desobedecen a los poderes acumulativos? Nos amotinamos frenéticos ante el descalabro del paisaje. Nos aglomeramos encendidos para dejarnos arrasar de a miles. Nuestra mirada desafía las lágrimas vertidas por esos escenarios.

MMe pregunto si el arte puede ser un puente entre la extracción de ideas y la extracción de materiales. ¿Será el arte una transacción? ¿Será esa transacción una extracción sana de imágenes, ideas y poéticas que desobedecen a los poderes acumulativos?

¿Y si este texto fuera un montaje de ideas fragmentarias que de manera cinematográfica se van hilvanando y recomponiendo, como si se tratara de piedras y minerales de las minas altiplánicas, como los pedazos de árboles astillados, ofrendas y aserrín de madereras amazónicas? ¿Y si esta colección de ideas pudiera simbólicamente reconstruir el paisaje desolado que ha dejado la producción progresiva de la modernidad? Una suerte de palimpsesto metafórico que reconstituye valores y saberes perdidos, algo que a modo de collage reproducible puede y debe repensar los fragmentos de una historia no lineal, de una narrativa caótica. ¿Qué tal si esa modernidad entrañable y desoladora pudiera ser el camino de regreso?2

Me pregunto en voz alta: ¿podemos operar con esa libertad? Sería preciso

2 “Se suele decir que el ideal de libro de Benjamin era un texto compuesto enteramente de citas, en que el autor fuese solo un compaginador, en el sentido cinematográfico del término, estrictamente una cuestión de montaje en la cual la autoría pareciera borrarse.” (Santos en Benjamin, 2019: 17)

82

no olvidar la parte de la narrativa nacional que se despreocupa de la cadencia lógica de los hechos históricos, y más bien articular el pensamiento desde las grietas que la misma historia deja. Esas grietas permiten pensar el Cerro Rico de Potosí menos como la fuente de poder y riqueza de la corona española que como una fuente inagotable de historias de mineros y palliris3 que han dejado una huella no mesurable en monedas y números sino en impactos, en historias narradas y en una huella inmaterial que reside intersticial, que se hace cuerpo subjetivo en kilogramos de materia extraída.

¿O se trata de una búsqueda por señalar los replanteos que le hace el arte a la relación del Estado boliviano con el paisaje y con todos sus agentes y agencias?

¿Se podrá traducir un cuerpo?

¿Se podrá traducir la materia?

Antropoceno: rebeliones

Una lectura del Antropoceno es necesaria hoy en Bolivia para entender que una parte de la producción artística está atada al modo en que se ha adulterado un sinnúmero de territorios y paisajes. Este texto busca establecer puentes entre piezas, con el solo objetivo de articular otra lectura histórica del arte contemporáneo, en busca de respuestas al antropocentrismo, a la extracción, a las agencias4 que el arte es capaz de despertar y activar en la tierra y el territorio. En busca de respuestas abiertas.

En Antropoceno, el documental de Edward Burtynsky, Jennifer Baichwal y Nicholas de Pencier, se abren puentes desde la mirada occidental para entender el avance sobre diferentes territorios de las grandes empresas mineras y de explotación animal ilegal, entre otras. Un sinnúmero de investigaciones dentro de las ciencias, pero también dentro de las artes, plantean la

3 Mujer indígena que en el desmonte [de las minas] escoge y tritura los trozos de roca mineralizada. (Poppe, 2003: 190).

4 En la línea de investigación de Bruno Latour, se entiende por agencias a aquellas entidades o actores que, desde una perspectiva ontológica y material, configuran la relación que tenemos con la naturaleza. Se trata de una revisión no-moderna del materialismo, que creo yo puede ser reinterpretada desde estas latitudes. Estoy convencido de que el arte, cuando se preocupa por las entidades que componen nuestra superficie, posee la capacidad de activar las agencias, de pasarlas del mundo inanimado al animado, de revolucionarlas.

83

instauración de una nueva era geológica que reemplaza al Holoceno y que se produce a fuerza de revoluciones industriales: una era tecnológica voraz, de un capitalismo extractivo que parece no tener freno. Estas acciones sobre el suelo y lxs otrxs habitantes del planeta terminan configurando una nueva era geológica hecha a imagen de los seres humanos y sus deseos económicos. En ese proceso de hacernos diosxs con las capacidades de mover millones de elementos, materiales y recursos minerales, hemos producido en el planeta un punto de inflexión geológica que no se va a celebrar en obituarios, que no será cantado en óperas y que tiene como uno de sus resultados la pandemia del covid 19. Esos terrenos y territorios maniatados no van a tener su réquiem, no hay obras de arte que puedan servir de salvataje, no hay botes salvavidas. Solo quedan cientos de icebergs listos para cargarse a los cientos de Titanics que se hunden con los sueños del progreso y el desarrollo.

La modernidad ha dejado eso como herencia material, y me pregunto cómo luchar en el territorio de la imagen, de lo sonoro, de las ideas, para construir alternativas de existencia. Este enfoque del Antropoceno es elemental para entender la producción colonial y capitalista de recursos. Una mañana de domingo, aparece en el periódico un anuncio extraño. La pandemia ha ralentizado la producción impresa de noticias. Pero ahí, en la grieta entre la tinta y el papel, cientos de miles de partículas se han contagiado de espíritu combativo y se han permitido formular lo siguiente:

84
EL TINTE VERTIDO CONTAMINA BREVEMENTE LA IMAGEN ROMANTIZADA EN POSTALES TURÍSTICAS DE UNOS LLANOS Y SELVAS QUE EN LAS CIUDADES CREEMOS PROTEGIDAS. LA INTERVENCIÓN ES ALGO MÁS QUE ARTE FUERA DE LA GALERÍA Y EN EL PAISAJE. ES TESTIMONIO Y SIGNO DE ESAS PRÁCTICAS AVASALLADORAS QUE SOMETEN A PUEBLOS HUMANOS, ANIMALES, VEGETALES Y MINERALES QUE CONSTITUYEN ESE LUGAR.

La Paz, 22 de enero5 de 2021

Como seres autónomos en pensamiento nos vemos en la necesidad de realizar una aclaración pública ante los lectores, a sabiendas de la necesidad de separarnos del relato estatal que nos obliga a ceder nuestra soberanía corporal a título del progreso y el desarrollo del país. El presente aviso tiene como objetivo llamar a una gran movilización de átomos, partículas, elementos, piedras, aglomeraciones, amalgamas, ríos, montañas, bosques, animales y demás seres mágicos y no mágicos con el objetivo de socavar los intentos del Estado boliviano de seguir sometiéndonos a sus designios desarrollistas. Escupimos su extractivismo servil y misógino. Como entes autónomos del suelo y el interior de la tierra llamamos a nuestros pares a la huelga, paro movilizado, bloqueo de canales vibracionales, apropiación de socavones, derretimiento de cables, aglomeración de componentes, ruptura de jaulas y cautiverios, reorganización de grandes materiales. Llamamos a una gran rebelión. Que las demás partículas y pulsaciones eléctricas ayuden a difundir el mensaje en todo el territorio nacional y se extienda por fuera de sus fronteras para una lucha mancomunada de otredades no reconocidas en la Carta de Derechos Humanos.

¡No nos maten por su progreso!

85
5 Día del Estado Plurinacional de Bolivia.

El aviso aparece como un destello en la sección comercial del periódico La Razón, y es tomado por el gobierno central de turno 6 como un llamado sedicioso y con pretensiones de cooptar funciones que a dichas entidades existenciales no les corresponde. Se inicia un proceso largo de hostigamiento y presión, y finalmente se da paso a la represión general, la prohibición de toda actividad y acto de congregación de las agencias amalgamadas en la revuelta. Se llama así a una segunda Inquisición, en defensa del derecho de los seres humanos de permanecer en el centro del pensamiento del mundo. La rebelión de los objetos, de las subjetividades alternas, sin embargo, no es acallada. Esa usurpación, muy similar a la extirpación de idolatrías de la Colonia, supone un extravío en la cadena de representación del paisaje, y en ese quiebre es que este texto se posiciona, ya no como palabras de su autor, Santiago Contreras, sino como agencia autogobernada en uso del teclado junto a las ideas insertadas en lx humanx.

En la cultura del paisaje hay una construcción muy evidente que les da a Apus7, Achachilas 8 y Apachetas 9 cualidades humanas muy presentes en la tradición oral, algo que ha sido trabajado en algunas pinturas coloniales de la zona andina. La noción “Virgen = tierra” supone una tierra domable, objeto de atracción y extracción, cuerpo constituido desde un mar de materiales que, sin embargo, han construido la historia de nuestro país con toda la fuerza rebelde de la roca, con toda la contundencia de la erosión. El paisaje virgen, en femenino, en sentido ultrajable, explotable e invisibilizable, ha implicado un entendimiento: que aquello que vemos a la distancia, con una seguridad posesiva cargada de signos, es producto de un gran desequilibrio afectivo en la relación con la tierra y de todo lo que el hombre (en masculino) saca del territorio. ¿Será que el paisaje sueña con otros devenires?

6 Puede ser uno y muchos gobiernos, pero hace referencia al de Jeanine Áñez (2019-2020).

7 Montaña o cerro que, en tiempos prehispánicos, sobre todo en las regiones andinas, se creía que recibía vida de parte de deidades. En quechua significa “señorx”.

8 “Dentro del concepto de los seres sobrehumanos, los Achachilas, junto con la Pachamama, constituyen la categoría más importante. Son los grandes protectores del pueblo aymara y de cada comunidad local. Como las montañas y los cerros, que son sus moradas, abrigan al hombre. Existe una relación filial entre los aymaras y los Achachilas, porque estos últimos son los espíritus de los antepasados remotos, que siguen permaneciendo cerca de sus pueblos. …” (Van den Berg, 2005: 293)

9 “Montículo artificial de piedras que se encuentra en determinados lugares de los caminos, en especial en encrucijadas de altura y en las cumbres. Para los viajeros son sitios que marcan la presencia de la Pachamama y ciertos Achachilas de quienes esperan que les ayuden en su viaje. El que llega donde una apachita alza una piedra, frota con ella una parte de su cuerpo para transferir el cansancio y recobrar fuerzas, y la coloca sobre el montículo. …” (Van den Berg, 2005: 293)

86

El Antropoceno es un problema colonial. Una herencia de sometimiento a los métodos de producción de la energía utilizada para la industria, responsabilidad que sigue siendo en esencia de los países industrializados en los siglos XIX y XX. Porque no hay manera de desligar el desarrollo de Europa y de toda la maquinaria que se ha necesitado para semejante empresa sin unos contratos existenciales de parte de las colonias y las fuerzas económicas y políticas que las sometieron. Por ello es también urgente comenzar a elaborar teorías relacionadas con el Antropoceno desde una perspectiva local, que permitan hacer oído a múltiples formas de comprender el mundo y los diferentes agentes que lo componen. Porque al final de eso se trata: no de comprender el globo terráqueo como una pelota, sino como una delgada superficie, sumamente frágil, saber que se venía practicando y que es muy bien absorbido por culturas y pueblos que quedan marginadxs de la influencia de las nuevas polis globales.

Interior mina

No puedo dejar de pensar en algunas imágenes de René Poppe, en la idea tan acertada que dan de la mina, del contrato voraz, abusivo, que entre seres humanxs, y entre estxs y la naturaleza, la producción minera implica. Interior mina (escrito en 1971, publicado en 1986), el libro de Poppe es probablemente el mejor y más completo testimonio de la vida en las minas bolivianas. Podría considerarse, también, una verdadera performance duracional: la empresa de llevar al límite la relación entre la experiencia en la mina de un Poppe estudiante de filosofía en la UMSA y el objetivo final de la acción: generar una escritura que reflejara el universo interno de la mina, de sus ocupantes y de las miles de presencias mágicas que completan su sentido paranormal, místico y mítico. Un universo dominado por las sombras, que apunta luces a pequeños hallazgos, pero que deja en la oscuridad a cientos de otras historias de paupérrima existencia. Deja en las sombras las más grandes misoginias, la imposibilidad de refugio de lo femenino en las entrañas de una tierra preñada de injusticias. Una desangrada narración de articulaciones amputadas, de sublevaciones reprimidas, de identidades rotas, congeladas en la historia dentro de la maraña de tenebrosos surcos en la tierra. Túneles sin fin que en la imaginación colectiva conectan todas las minas del país con un sueño distante de emancipación respecto del sistema productivo nacional, del mal de mina y de la acumulación capitalista.

87

VIERNES 14. [… ] Estábamos carroneando1 con Flores y en una curva, bajo el buzón2, había mucha carga dura que era necesario suelear3. No teníamos ni pala ni picota. Había que encontrarlas donde sea. Recorrimos la galería que Flores llama callejón. Encontramos una pala, pero era imposible el sueleo. Transpiramos copiosamente a pesar de ser frío el callejón. Nos dolió por la espalda y descansamos. Ahí me contó que una vez, con otro, en tercera punta, estaba carroneando. Cuando quisieron saber la hora, se dirigían a la jaula a preguntar al timbrero4. Avanzaban por la galería y Flores vio unas huellas de botas que entraban por una adyacente. Apuntó con su frente y el haz de luz chocó con un montón de carga. Quiso ir más al fondo para ver si habían jucus, pero no pudo avanzar ni un paso más. Sus piernas no le obedecían. No pudo gritar a su compañero que a varios metros estaba ahí, mirándolo, esperando para ir juntos. Se esforzó en llamarlo con la mano y cuando su compañero llegó, tampoco pudo avanzar más allá del trecho donde estaba Flores. Se dieron la vuelta y entonces sí podían andar. Desandaron unos pasos y

1 “Carroneo: El traslado del buzón a la parrilla de la carga mineralizada”. (Poppe, 2003: 188). “Parrilla: hueco horadado en la roca, a ras del suelo, donde se vacía la carga mineralizada y que comunica con otro nivel o sección y está surcado por rieles macizas”. (Poppe, 2003: 190).

2 “Buzones: Construcciones en el maderamen de las galerías de interior mina que permiten el descenso de la carga mineralizada desde el paraje de explotación: los rajos”. (Poppe, 2003: 187).

3 “Suelear: Con pico y lampa limpiar de chaka y rocas menudas el piso de la galería”. (Poppe, 2003: 191) Chaka: líquido y lodo mineral”. (Poppe, 2003: 188).

4 “Ascensorista de interior mina”. (Poppe, 2003: 191).

volvieron al lugar de la galería adyacente. Volvieron sin consultarse, imantados por las huellas que se perdían en el cúmulo de carga mineral. Tampoco pudieron atravesar esa sólida barrera invisible que les impedía el acceso. Volvieron a desandar. Esta vez, también sin consultarse, atraídos por ese algo indecible, corriendo emprendieron el avance. Pero era inútil, pararon en seco en el mismo lugar de antes. Esta vez, como rebote, salieron más allá de la galería que la atravesaba. Metros más allá. Recién se preguntaron qué pasaba. Fue una pregunta como en otro territorio, en otro tiempo innombrable, a pocos metros del lugar, a ni un segundo de las huellas. Tuvieron miedo y no quisieron averiguar qué era aquello que les impedía entrar a esa galería con carga mineral al centro. Trataron de pasar de largo y tampoco pudieron porque hasta ahí se había extendido la barrera invisible. Trataron una y otra vez y era difícil, era imposible, imposible y gritaron: - ¡Jefe! - ¡Timbrero!

Ante estos gritos pudieron pasar fácilmente el lugar. Nada les impedía, sólo el miedo les hacía marchar adelante. Cuando llegaron ante el jefe, él dijo: -Es muy pesado ese lugar. Esta mañana ahí ha muerto uno. Su cadáver está bajo esa carga.

RENÉ POPPE i n TE rior m ina (1971), fragmento (Poppe, 2003: 176-177)

Existe una perversidad no consciente, forzada por las cadenas de producción, que corrompe la materia que hace a la mina. Me refiero al vaciado de la tierra y de sus materiales (piedras, minerales, maderas, hierros), así como de las herramientas activadas con el valor que lxs humanxs les damos (cascos, picos, palas, carromatos, dinamita, lámparas, hoja de coca). Así, solo tal vez, las almas de lxs múltiples habitantes del socavón puedan hacer ejercicio consciente de sus programas de revuelta.

Todo esto es para mí el más grande performance duracional que un no-artista visual ha podido celebrar en la historia del arte nacional. El texto de Poppe es el registro más completo de una acción artística no deliberada, que borra las fronteras entre arte y activismo. Similar a lo sucedido en la obra de Mujeres Creando, donde se han diluido esas fronteras hasta lugares inimaginables, acá se trata de una pieza que más bien abre las posibilidades de entender el performance cuando es llevado a las últimas consecuencias: provenir de la burguesía más colonial de la ciudad de La Paz, hacerse minero y entrar a ese mundo constituye el acto de desafío más grande al orden capitalista de la producción. Poppe se introduce en la mina sin otra intención extractiva que la de recoger historias y sentimientos, posiciones ideológicas y los miles de sopapos que la realidad le pueda dar. La acción, sin embargo, no acaba ahí: se mezcla con la vida misma, se involucran todas las fibras, se tocan todos los nervios, se abrazan todas las historias autobiográficas anteriores, se abrazan las historias de los mineros, se generan sentidos afectivos múltiples, e incluso, muy a la distancia, posibles amoríos, que la Pecosa10 no puede ni imaginar. Poppe escribe para lxs habitantes de la ciudad, escribe desde interior mina para exterior mina, escribe desde el interior que al minero tan “cómodo” le resulta, para un exterior tan a salvo de municiones, balas y masacres, tan distante de los problemas económicos de las viviendas, tan lejos de lxs hijxs con hambre. Poppe escribe de adentro para afuera, pero muy metido adentro, al punto de hacerse parte de la historia que buscaba representar y acaba presentando en su misma carne, en su misma anécdota, como un tatuaje permanente de las cicatrices de cientos de mineros, jucus11, ayucos12 , palliris y Tíos13 , santos, demonios, lágrimas de agua, goteos evaporados y entidades místicas dentro de los minerales mismos de la tierra.

10 Así se refiere Poppe a su pareja de entonces, que vivía en La Paz.

11 “Obrero que ocultamente saca mineral de interior mina para venderlo en provecho propio” (Poppe, 2003: 189).

12 Ayudante del perforista, “encargado de cambiar los cuatro barrenos a la máquina perforadora” que taladra la tierra. (Poppe, 2003: 187).

13 “Dios, diablo y dueño de interior mina”. (Poppe, 2003: 191).

90

No hay acción más total que esta, no hay performance más completo que los meses de Poppe en interior mina. En el mismo sentido de una escritura experimental, performática, la obra de Poppe puede tomar caminos, sin buscarlos, que han seguido lxs escritorxs de Fluxus en los años sesenta y setenta. Curiosamente se trata de escritorxs y movimientos contemporánexs al libro de Poppe, algo que no había notado hasta hace muy poco, cuando me puse a leer algunos textos de Maciunas y compañía. Suena forzado pretender que la pieza de Poppe trascienda las barreras del medio y se convierta en el primer testimonio de una acción artística. Pero es ese personaje minero, en cuerpo de Poppe, que no es un personaje teatral, sino real, muy real, que se hizo minero y compartió la mina como cualquier otrx, que compartió la lucha de Filemón Escóbar y que hasta el día de hoy conserva lo que esa experiencia definió como gatillo para una literatura minera que habla desde interior mina y que no es espectadora, que no imagina, que no recrea y que no representa. Nada más cercano al arte de acción que esa presentación radical de las vicisitudes de la experiencia minera, de la espacialidad de los socavones y de la vida urbana que ahí adentro sucede.

La minería es una de las heridas más profundas de la historia colonial, republicana y contemporánea de Bolivia. Las prácticas extractivas siguen desangrando hoy el territorio con la voracidad de un Leviatán que se traga poco a poco el mundo. Imagino las fauces metálicas de una gigantesca bestia animada por los deseos incontrolables del progreso en todas sus diferentes versiones, en medio de un grupo de mineros en protesta antes de ser fusilados y echados a una fosa común.

SANTIAGO CONTRERAS SOUX inTErior mina (BiS) (2017), 75 dibujos basados en Interior mina, de René Poppe, dimensiones variables, grafos y marcadores sobre papel

91
Página
95-97:

Un día pensaba que el terreno y el territorio que habitamos están en realidad construidos de sueños, que eso que conocemos e imaginamos del mundo habitable no es otra cosa que la acumulación de imágenes desconectadas que poco a poco, en la colectividad humana, se han sabido construir como rostro común, montaña de significados que hemos ido confiriendo a espacios dispersos en el tiempo, pequeñas sombras de nuestra existencia que se despliegan para abarcar el paisaje.

Otro día pensaba en ese allá afuera, grande como el macrocosmos, poblado de agencias peligrosas –asuntos de preocupación los llamaría Bruno Latour– que desde la ciudad no logramos comprender. La vastedad del altiplano, la extensión de los ríos inagotables del oriente, serpientes de agua que surcan el más allá, mares de arbustos secos que son el sitio sagrado del pueblo guaraní: la conciencia de esa vastedad, de lo inabarcable, en las ciudades nunca la hemos entendido. Esa relación inconmensurable con el entorno me parece que se ve bien retratada en dos películas de Miguel Hilari y una de Nayra Antezana.

El corral y el viento (2014) y Compañía (2019) entran en las complejidades que se dan en la migración del campo a la ciudad y los cambios que la identidad atraviesa en dicho proceso. Es una de las narrativas más abordadas en la historia del cine nacional. La mirada de Miguel se mete en la historia y logra de alguna manera dejarse arrastrar por aquello que narra, muy fragmentariamente. Una mirada desde adentro, consciente del lugar en el que está y el lugar desde donde mira y hace mirar al público.

Compañía abre con una serie de imágenes desde un bus en movimiento. El exterior es una absoluta penumbra que poco a poco va dejando espacio a la luz, hasta revelar una carretera de tierra y a lxs habitantes temporales del bus que, con sus maletas y sus bagajes emocionales, se van adentrando en el departamento de La Paz. Se puede intuir esto por la configuración del paisaje14 : sus

14 Siempre me ha maravillado el paisaje, y en lo profundo de mi ser hay una intensa curiosidad por comprender la morfología de las montañas, de los valles, de los cauces del agua que fluyen de la cordillera hacia los llanos. Hay en mí un deseo de abarcar ese territorio como sujeto omnipresente, capaz de tener una relación táctil con esa morfología, una obscena búsqueda de comprensión de las tres dimensiones, la cuarta y unas probables quinta, sexta y séptima, invisibles, que me reclaman desde la profundidad de la tierra, desde esas piedras que ahí abajo estarían cantando. De ahí la obsesión por adivinar lugares, por adivinar espacios. En este caso, trataba de adivinar si Compañía era un pueblo de los alrededores de Apolobamba, la más recóndita de las cordilleras paceñas. Y acerté.

96 Interior reverso

montañas, su vegetación, su luz, que permea entre las nubes que poco a poco se dejan ver 15 . Enseguida se evidencia el diálogo o enfrentamiento (como se prefiera) entre la comunidad y lx habitante que ha migrado a la ciudad y que regresa a su lugar de origen cada cierto tiempo, en especial para la celebración de Todos los Santos, el 2 de noviembre. La película permite comprender ambos universos, con sus particularidades. Y sin necesidad de diálogos ni entrevistas, presenta (no representa) estas transformaciones, la influencia de la ciudad en la construcción y las arquitecturas de la comunidad, así como aquellas cosas que permanecen, que no sufren desplazamiento ante la expansión de la imagen globalizadora del ladrillo de seis huecos, que se ha apoderado de las poblaciones del “interior”. Hilari no romantiza el campo: lo condiciona a un cambio permanente, a un desplazarse, y esos viajes, idas y venidas vienen marcadxs en la identidad misma y su transformación, y en la manera en que muchos grupos sociales contemplan el paisaje y se relacionan con él. Porque, así como hay desplazamiento mineral y material en la minería, había también desplazamientos humanos con la mita16 , que son replicados en desplazamientos campo-ciudad en la sociedad contemporánea, como si uno se hiciera "minero" en la ciudad. Se crea una dialéctica entre la imagen de una manada de caballos que corren y pastan en el campo, signos de una naturaleza no domada que aparece como un sueño nostálgico, y los bautizos de iglesias evangélicas a lo largo y ancho del altiplano y los valles altos de La Paz. Esta expansión de la fe, tan parecida a la de los tiempos de la Colonia, implica el despliegue de agentes que, a manera de profetas y salvadores, son lanzados a kilómetros de las ciudades a conquistar el sueño de una vida después de la muerte. Estas narrativas en imágenes son eco de eso contem-

15 Quiero agradecer a Marisabel Villagómez por haber compartido un link al sitio web del informático Andrei Kashcha, cuyo trabajo permite justamente la comprensión gráfica de las montañas a nivel mundial. Algo que probablemente el Todopoderoso ha pensado al concebir, orgasmo cósmico mediante, las montañas y sus múltiples movimientos. El proceso de generación de la plataforma online permite eso que antes solo era comprensible sobrevolando en avión y ahora queda a disposición del planeta mediante la aplicación de una serie de fórmulas que dibujan el espacio con precisión científica, pero con la intencionalidad artística que todo ilustrador querría tener luego de haber visto la portada de Unknown Pleasures, el disco de Joy Division.

16 El término refiere a: 1) la jornada de trabajo dentro de la mina, y 2) el sistema de trabajo utilizado por el Estado Inca para realizar especialmente labores agrícolas en los terrenos del Inca, y reformulado por el Virrey Toledo en 1572 para instituir el trabajo forzado en la mina de Potosí. Esta otra mita fue abolida en los primeros años de la República, si bien sistemas similares se siguieron aplicando hasta entrado el siglo XX.

97

poráneo que se filtra, muy cristiano y punitivo, pero para mucha gente vehículo de expectativas de modernidad o estatus citadino.

En su construcción, El corral y el viento es un caso opuesto: una aproximación autobiográfica al campo, en la que Miguel visita las tierras de su abuelo, sus tíxs y sus primxs. La migración de su abuelo a la ciudad de La Paz desde la comunidad de Santiago de Okola, en la orilla del Lago Titicaca, es uno de los detonantes de la narrativa. El otro, la profundidad de los dolores familiares que afirman el lugar discursivo de Hilari y están enraizados en el trauma que supuso para su abuelo haber sido encerrado en un corral tras reclamar acceso a la educación.

En la película no hay una mirada exterior (extranjera) al campo, ni una exotización de lxs otrxs; lo que hay es una inmersión en la idea del tiempo circular. Regresar no solo es un canal para mirar un mundo al revés o un reverso del mundo. Es también regresar en el tiempo, algo que el ángel de Benjamin no sabía canalizar en las profundidades de sus propios misterios. Es importante dejar de lado la imagen que se vende internacionalmente y que ha sido propagada en la marca país, de que Bolivia es un territorio donde lo auténtico todavía existe, donde se respiran paisajes vírgenes, con indixs reposando17. Esa imagen sirvió para articular un sentido de nación en base a monolitos, Puertas del Sol de Tiwanaku y otras manifestaciones rocosas que también cantaban. Cantaban lo que los pájaros no podían.

STOP. PAUSA. PULSO. Sigo preguntándome sobre la existencia en el paisaje de rocas como personas. Y me pregunto también si sabrán cantar. Y si cantan, ¿cantarán en las palabras de la carne? ¿Cantarán sigilosas como sombras en la noche?

¿Tendrán un pulso?

¿Sentirán como lxs humanxs?

Y si son más personas que rocas, ¿ese pulso será denso? El pulso eléctrico, ¿será distinto en una roca?

Y si se enamoran, ¿cantarán más alto y profundo, como pidiendo por su extracción?

STOP. PAUSA. PULSO. Regresar en el relato es también una forma de repensarse en relación con alguien o algo. En el documental Altiplanos (2018), Nayra Antezana –hija del

17 Me refiero a las pinturas y dibujos de Fernando Montes, que suelen mostrar figuras femeninas en el paisaje andino, sentadas o en reposo.

98

Abajo y páginas 100-101:

MIGUEL HILARI comPañía (2019), video digital HD, 59’ 45’’, color, sonido. Fotografías del archivo de Urbano Mamani

La película de Nayra Antezana me lleva a un cuestionamiento del consumo de imágenes del altiplano. Lo que para ella se remonta a los inicios del cine nacional, habita en mí como algo más allá: la producción de imágenes como instrumento evangelizador. Un altiplano repleto de Leviatanes tragones, diablos saltarines y salas de tortura.

director de cine Tonchy Antezana, nieta de Luis (dueño de salas de cine en Oruro, Pulacayo y Tupiza) y bisnieta de Crisóforo Juárez (viajante en mula que llevaba películas a las minas del altiplano orureño)– se repiensa en relación con su padre, y repiensa a su padre en relación con su abuelo (el padre de él) y hace que su padre repiense a su propio abuelo (el bisabuelo de ella).

Su película me lleva a un cuestionamiento del consumo de imágenes del altiplano. Lo que para ella se remonta a los inicios del cine nacional, habita en mí como algo más allá: la producción de imágenes como instrumento evangelizador. Un altiplano repleto de Leviatanes tragones, diablos saltarines y salas de tortura. En el Santiago Mata Indios, en los arcabuces de los arcángeles, se establece una idea de dominio físico y cognitivo sobre el vasto territorio altiplánico.

La película abre con la voz en off de Nayra refiriéndose a lo que luego las imágenes van a confirmar: su bisabuelo cargando películas y proyectora en dos mulas en medio del altiplano, llanero solitario desfigurado y probablemente menos heroico, pero no por eso menos enfrentado a la inmensidad agobiante. Lo que sigue es una serie de micro-relatos conectados por el profundo deseo de Nayra de encontrar sus propias raíces. Lo que la llevará hasta el Chaco, donde su padre había realizado la película Boquerón (2016).

Me interesa la idea de emprender un viaje buscando migajas en las memorias de las diferentes personas que no solo han poblado los afectos de Nayra, sino que constituyen una parte de un territorio que probablemente habría querido mantenerse en el olvido. En el resto de la película, ella recorre diferentes lugares rastreando esa historia que la conecta con el pasado, con la irrupción del cine en el mundo de la reproducción técnica de las imágenes. Casi cien años después, Nayra utilizaría el mismo recurso de masas para intentar comprender una Bolivia del siglo XX que no apareció

102

en las producciones que Carlos Mesa realizó en sus tiempos de periodista

Al inicio de la Colonia, las imágenes19 enarbolaban las banderas de la religión, de la modernidad encauzada en la trama del sometimiento cognitivo, tecnológico y territorial. Sacerdotes y caravanas de españolxs cruzaban la sierra y el altiplano portando pinturas, esculturas y otras imágenes de escenas bíblicas, apocalípticas del fin de los tiempos y el inicio de la Colonia.

18 De Cerca (1983-2002) y Bolivia del Siglo XX (2009), documentales para televisión emitidos por la cadena PAT.

19 Cuadros, esculturas, placas de grabados, etc., todxs llenxs de propósitos evangelizadores.

103
18 .
MIGUEL HILARI El corral y El viEnTo (2014), video digital HD, 54’ 24’’, color, sonido

El documental, con sus viajes y desplazamientos de intenciones, me hace recuerdo a un Crisóforo llevando imágenes de recalcitrante progreso tecnológico a unos campamentos mineros que, a comienzos del siglo XX, estaban más bien atascados en el siglo XVII. Campamentos con las añoranzas atrapadas en el túnel, en la piedra que sostiene los socavones. Imágenes igual de repletas de preocupaciones. Existe un paralelo entre la lámpara de gas del minero y la proyectora en la sala de cine. Una alumbra una porción del socavón como si alumbrara una parte del macrocosmos, el énfasis puesto en una porción de realidad. En otro espacio, la pantalla iluminada genera en el público miradas similares, ya que contienen esa idea de la luz excavando la oscuridad. Para mí es como si una parte del socavón se hubiera quedado impregnada en esas salas de cine mineras y una parte del cine y sus ficciones se hubieran apelmazado en los minerales de la mina. Un intercambio tan fútil como los viajes de Sísifo, casi tanto como la intención del Estado de encontrar otros métodos productivos. Fugazmente las salas de cine y los socavones se igualan, comunican las frustraciones, los temores, los miedos, los goces y la paz de interior mina al mundo exterior y literalmente entierran los sueños modernos, las realidades de los westerns y otros filmes de época, silentes, que por un momento parecen darles velocidad a esas imágenes congeladas en el tiempo de la mina. En el exterior, el viento. En el exterior, polvo, calamina oxidada y arquitecturas en decadencia. Pulacayo, como tantas otras minas, se abandona ante la escasez y el gran dilema de los recursos no renovables: se acaban, y con ellos el tiempo, como si las partículas simplemente decidieran dejar de producir los milisegundos que se acumulan, para sentir que ahí las llamas transitan. Y si el tiempo deja de pasar, si el espacio deja de acumular partículas, ¿qué sucede con el viento? ¿Puede el tiempo abandonar el capitalismo como lo hizo el polvo, como lo hizo la memoria de ese pueblo distante de Orinoca cuando Evo Morales se olvidó del altiplano y sus raíces? La mina se me antoja como el País de Nunca Jamás, estancado en los sueños de lxs niñxs perdidxs, atascado en una temporalidad enajenada. Siento que Pulacayo me sonríe a través de la película de Nayra, para contestarme que son las fisuras las que se deben perseguir para tejer otras alternativas al modelo extractivo.

EXISTE UN PARALELO ENTRE LA LÁMPARA DE GAS DEL MINERO Y LA PROYECTORA EN LA SALA DE CINE. UNA ALUMBRA UNA PORCIÓN DEL SOCAVÓN COMO SI ALUMBRARA UNA PARTE DEL MACROCOSMOS, EL ÉNFASIS PUESTO EN UNA PORCIÓN DE REALIDAD. EN OTRO ESPACIO, LA PANTALLA ILUMINADA GENERA EN EL PÚBLICO MIRADAS SIMILARES, YA QUE CONTIENEN ESA IDEA DE LA LUZ EXCAVANDO LA OSCURIDAD.

104

Arriba y páginas 106-107: NAYRA ANTEZANA alTiPlanoS (2018), video digital HD, 33’ 21’’, color, sonido

La hazaña sería que el sitio olvidase también, así como lo han dejado a él en el abandono. Que en sus planes ya no hubiera más territorios que ocupar, a los que migrar parasitariamente, robando partículas minerales, partículas de sueños, miradas tapiadas en el fondo de la mina, ojos que cruzan caminos cuando dos lámparas se encuentran, gritos ahogados en el sonido de la dinamita mal colocada y el estruendo de la roca llorosa. Y el Tío que se pregunta por la aparición del feminismo en el exterior de la montaña, y yo, perdido en mis cavilaciones, sentado junto al teclado de la computadora, con Nayra, sus antepasados, Pulacayo y sus fantasmas, todxs preocupadxs por el tiempo congelado en las calaminas del campamento minero.

Lo verdaderamente interesante es que, a través de la voz de Nayra, de repente el paisaje cobra vida, como si guardara esas historias en un banco de memoria inabarcable, porque son las historias múltiples de cientos de miles de personas que por sus polvaredas han caminado. El cine ha sido para los campamentos mineros no solo una puerta a los sueños –algo que recoge muy bien René Poppe en su testimonio–, sino también una forma de lucha. Las imágenes en movimiento eran ese portal tan parecido al socavón, tan en penumbras, pero a la vez tan lleno de vida. Por eso no es extraño que casi cada pueblo minero de este país haya tenido su pequeña sala de cine. Creo que cuando Benjamin plantea que “el filme es, por consiguiente, la obra de arte con más capacidad de ser mejorada. Y esta, su capacidad de ser mejorada, se conecta con su radical renuncia al valor de eternidad” (Benjamin, 2019: 99), en realidad está pensando en los campamentos mineros bolivianos en estado de abandono. Lidiar con la autenticidad de lo reproducible. ¿Puede el cine transmitir lo inasible de una pared empolvada, de una mirada perdida en el fondo de la mina? ¿Será realmente que, como dice Benjamin, faltan el aquí y el ahora? “ La autenticidad de una cosa es el conjunto de todo lo que desde el origen compete a la transmisibilidad, desde su duración material hasta su condición de testimonio histórico.” (Benjamin, 2019: 88)

Viento, viento, polvo y pradera.

Silbido ausente, crujir de la roca, el rodillo de la cinta, el sonido en la cámara oscura.

Silbido presente, saliva, salto y muerte.

El cine ha sido para los campamentos mineros no solo una puerta a los sueños –algo que recoge muy bien René Poppe en su testimonio–, sino también una forma de lucha. Las imágenes en movimiento eran ese portal tan parecido al socavón, tan en penumbras, pero a la vez tan lleno de vida. Por eso no es extraño que casi cada pueblo minero de este país haya tenido su pequeña sala de cine.

108 A

Corrientes con agencia

El agua cumple la función inexorable de generar y alimentar vida, así como de gestar situaciones críticas cuando se la utiliza como recurso económico. El destino del agua no puede desligarse del cambio climático, del Antropoceno, del paisaje y la cultura humanxs. Bolivia no tiene cómo obviar la crisis del agua de fines de 2016. Durante casi dos meses, La Paz y El Alto se quedaron sin agua. La escasez evidenció las diferencias sociales. El sueño de progreso que viene de la mano de un acceso universal y soberano al agua potable se vio truncado de un día para otro. El 2012, en el marco de la Larga Noche de Museos, Andrés Bedoya interviene los garajes de la sede de la Corporación Andina de Fomento (CAF) con la videoinstalación de varios canales Río adentro, poblando así, por una noche, ese mar de cemento. Se trata de la edición de un registro del agua del Choqueyapu y otros ríos de la ciudad en su descenso por los canales que la alcaldía destinó al control de sus cauces. Las canalizaciones mitigan la fuerza que el río adquiere en la temporada de lluvias, pero además le ganan terreno, en favor del desarrollo urbano e inmobiliario, al lugar que el río ocupaba. Río adentro persigue otros fines, ligados a una mirada curiosa y muy autobiográfica, como buena parte del cuerpo de obra de Andrés. Aquí, remite a lo que recuerda de los ríos y a las historias de su infancia que circulan en su presente. Yo encuentro la pieza como un signo profundo de una corriente dañada, alterna, alterada, en la alteridad. Es también un eco de la violencia urbana, de dolores y lutos, y por ello se hace paceña en amplio sentido.

El 19 de febrero de 2002 20 , antes de Febrero Negro y la Guerra del Gas21, en

20 “El 19 de febrero de 2002, entre las 14:20 y las 15:45, una granizada azotó la parte central de la ciudad de La Paz… El aire, brutalmente propulsado en altura, se satura muy rápidamente al contacto con el aire más frío que encuentra al elevarse. Su humedad se transforma entonces en hielo desencadenando granizadas localizadas sobre la aglomeración paceña. Aquel 19 de febrero, la masa de nubes sobre La Paz presentó una altura de 10 kilómetros y alimentó una granizada que duró una hora y media, tiempo durante el cual la temperatura media en el suelo pasó de 13 a 8 grados Celsius…”. (Hardy, 2009: 2).

21 Febrero Negro es conocido por la balacera entre militares y policías registrada en las inmediaciones de la Plaza Murillo. El resultado fue nueve policías, cuatro militares y tres civiles muertxs, así como decenas de heridxs. Al finalizar la jornada, aprovechando el acuartelamiento de la policía, se realizaron varios saqueos a negocios del centro de la ciudad. La Guerra del Gas, también conocida como Octubre Negro, desencadena, tras semanas de enfrentamiento y muerte, la huida del presidente Gonzalo Sánchez de Lozada a Estados Unidos y la asunción de Carlos Mesa, su vicepresidente. Ambos sucesos constituyen el inicio del fin de la “Democracia pactada” y la Bolivia neoliberal de los años 90. Se ha escrito con mayor detalle acerca de la Guerra del Gas en el texto de Carol Gainsborg en Perdidos y escondidos fuegos: la grieta como conciencia, en el tomo anterior de esta colección.

109

la ciudad de La Paz irrumpe el estruendo. El cielo se oscurece como premonición del luto. Se oscurece tanto que parece que se ha hecho de noche en pleno día, que el eclipse del sol es absoluto y para nada teñido de rojo. La ciudad se apaga en un gris más profundo que el del asfalto de sus calles, de sus paredes de cemento. Las calaminas ya no reflejan el cielo celeste sino la nube negra, gris, el martillo abrumador del granizo que comienza a danzar en las partículas de aire que hacen de buffer con la superficie. El granizo contra-erupciona. Las nubes erupcionan en granizo congelado que se acumula en calles y desagües y comienza a poblarlas con una violencia desmedida. Similar a las cenizas y el fuego arrasador de la erupción volcánica, el granizo parece una masa, volumen viscoso mezclado de todo lo que consume a su paso, gran mazamorra desatada y furibunda, ira del volcán de las nubes. Las fauces de la bestia arrasan con todo, con lxs habitantes de diferentes tipos y clases de las calles de La Paz que se han atascado de asombro. El barro, los troncos, los escombros, la basura, las rocas galopan y desbordan el caudal que la ciudad quiso ingenuamente controlar. La fuerza de lo natural siembra terror. Mueren sesenta y nueve personas y decenas desaparecen.

DIEZ AÑOS DESPUÉS, ANDRÉS BEDOYA RELLENA EL VACÍO DEL GARAJE CON EL SONIDO ESTRIDENTE DE LAS CORRIENTES DEL RÍO EN UNA DE ESAS CRECIDAS (NO DE LAS MÁS VIOLENTAS). EL AGUA CAE FUERTE SOBRE EL PISO DE LA CAF, QUE TANTAS OBRAS DE CONTENCIÓN DE RÍOS Y CORRIENTES HA FINANCIADO PARA EL MUNICIPIO PACEÑO.

Diez años después, Andrés Bedoya rellena el vacío del garaje con el sonido estridente de las corrientes del río en una de esas crecidas (no de las más violentas). El agua cae fuerte sobre el piso de la CAF, que tantas obras de contención de ríos y corrientes ha financiado para el municipio paceño. Hay algo profundamente site specific en esa elección. La pieza, no necesariamente intencionada como una declaración del poshumanismo local, parece preocuparse por otras agencias que pueblan el río. Concibe su agua contaminada y putrefacta como un lenguaje producido por lxs humanxs, metáfora de la extracción de recursos, conmemoración de la violencia vivida diez años antes. Es una pieza site specific porque posibilita un comentario sobre un banco que presta dinero para maniatar fuerzas que tienen o querrían tener controles propios y maneras de organizarse más allá de canales construidos con roca y cemento. Es site specific porque las rocas que estas corrientes mueven son a veces más poderosas que el desarrollo de las ciudades y la evolución tecnológica con la que operan, ya que los ríos son más grandes que el crecimiento demográfico, y sus problemáticas, más grandes que la corriente de los desagües contaminados de aguas servidas de las viviendas y las fábricas. Es site specific porque las bocas de tormenta no son suficientes. De niño yo imaginaba que un día iba a limpiarse el río y que todxs íbamos a poder bañarnos en un Choqueyapu transparente como los ríos de los Yungas. Que ante la escasez de verde en la ciudad había que pintar todas las casas de ver-

110

Arriba y página siguiente: A NDRÉS B EDOYA r ío ad E n T ro (2012), ocho videos HD en loop, aproximadamente 24’ cada uno, color, sonido, medidas variables

de. Eso imaginaba de niño: grandes masas verdes y corrientes transparentes de agua 22 . Igual que las que poblaron el altiplano en forma de arcabuceros y de penitentes en el infierno, esas imágenes construyeron parte de un anhelo, de una ciudad sin árboles, negadora de sus preexistencias naturales, que trepa cerros y los arranca cuando lo cree necesario. El registro y la instalación de Andrés me remontan a esos deseos profundos de comprender el terreno, de adentrarme en esas corrientes y entender cómo y por qué fluyen de la manera en que fluyen, curiosidad topográfica, hidrográfica y geológica que me mueve a interesarme de manera empírica por las ciencias que estudian el terreno y sus habitantes, por su biología, zoología y herbología. Las ciudades se piensan siempre a partir de lo que lx humanx aprovecha de ellas, y por lo general, la arquitectura y el urbanismo olvidan a otrxs habitantes. Yo soñaba con un Choqueyapu con peces para ir a pescar.

Para mí, el aluvión estaba repleto de agencias y se manifestaron dolidas, profundamente enojadas, dolosas el 19 de febrero de 2002. Y luego es como si hubieran también poseído temporalmente la mirada de Andrés para que llevase parte de esas necesidades a un garaje. La mentalidad moderna toma las corrientes y las encauza según los designios de los seres humanos. Así, la pieza es un testimonio de contra-modernidad, socia del contra-volcán y de la nube de diez kilómetros de altura que ocasionó la intervención urbana más grande que la naturaleza pudo generar en los últimos veinte años de historia paceña.

La preocupación por el agua es fundamental para comprender el proyecto curatorial “Illimani In Situ”, que optó por una revisión de lo que se entiende por el paisaje cultural del nevado Illimani y sus aguas 23 . La curaduría puso énfasis en la idea de que generar paisaje no es lo mismo que consumirlo, y que el agua podía ser un puente para hablar de un paisaje cultural producido por siglos de intervenciones en el soporte físico del coloso mediante andenes, terrazas, acequias, tomas de agua y una constante y afectiva relación

22 Hoy es sabido que el agua natural y original del río Choqueyapu siempre fue turbia a la altura del actual centro de la ciudad, ya que carga con partículas de tierra, arcilla y lodo típicos del suelo de la zona.

23 No en vano, en un momento en el que se pretendía privatizar el agua de lxs bolivianxs, se tuvo que recurrir al uso de la imagen del Illimani como “amuleto de la suerte”. La empresa Aguas del Illimani reemplazó a la estatal Samapa a finales de la década de los noventa, y fue luego reemplazada por una reformada EPSAS (Empresa Pública y Social de Agua y Saneamiento), que tampoco ha sabido hacerle frente al cambio climático y a un eventual retorno a nuevas crisis, que se van a dar a medida que los glaciares y las nieves permanentes de la cordillera vayan desapareciendo. El uso de la imagen del Illimani no solo como bien patrimonial, sino también en calidad de imagen politizable, es algo que ha llamado mucho la atención en el proyecto curatorial de Marisabel Villagómez.

113

con su presencia. Se alejó así de la concepción de paisaje proveniente de Europa que, desde que se inicia el alpinismo, caza montañas como objetivo recreacional de la burguesía de las ciudades.

“Illimani In Situ” deposita la mirada en los procesos culturales del aprovechamiento del agua, pero ciertas piezas hacen alusión también a la probabilidad fatal de un descalabro climático, la epopeya de seres humanos que deshacen procesos y aceleran otros. La búsqueda curatorial se expresa en lo que Marisabel Villagómez denominó “economía de los cuidados”: la capacidad de hacer comunidad dentro del proyecto artístico propiciaba una manera de leer el paisaje y el territorio como lugar compartido con otras entidades, sombras en la imaginación que escapan a la postal. La pandemia puso a toda la Ciencia (con mayúsculas) en entredicho. Permitió encontrar un montón de fisuras desde donde hacer tangibles las refutaciones a su supuesta verdad absoluta. Hace tiempo que me pregunto por caminos alternativos a lxs fórmulas, ecuaciones, compuestos y reacciones químicas, por posibilidades liberadoras que no hagan promesas ni cierren las fronteras, sino que expongan incertidumbres y planteen más bien incógnitas que permitan reescribir la historia universal, así como las personales y colectivas relacionadas con la memoria. El arte contemporáneo es una gran herramienta social para ese proceso de puesta en crisis, reinterpretación y reevaluación de modelos de poder asentados en los sectores más profundos de la mente, el subconsciente, el cuerpo, las células, el aura y el alma de vastos sectores de la sociedad mundial.

El paradigma de la explotación de recursos está en crisis. Necesita una actualización revocatoria y radical tan gigante como el cambio pregonado por la Revolución Rusa, tan radical como la revolución industrial y la primera Carta de los Derechos Humanos. La Revolución Francesa trajo consigo un despertar emancipatorio del discurso ante el poder estatal regido por el poder de dios; siglos de absolutismo venidos abajo con la cabeza decapitada de Mururata XVI24 rodando en una de las plazas de París. La Revolución

24 En El reino del Terror (Mururata), una obra propia, se yuxtaponen los relatos de la Revolución Francesa y el Terror jacobino del inicio de la República con la leyenda del origen del Sajama. Se trata de una serie de fotografías de nevados de las cordilleras Real y Oriental de Bolivia, intervenidas con dibujos. La nieve de las montañas se tiñe de rojo jacobino para dar lugar a ese relato ficcional de montañas convertidas en revolucionarias y nevados convertidos en reyes y luego decapitados. En el relato paralelo del origen del Sajama, Illimani, hijo del dios Wiracocha, le corta la cabeza de un hondazo a su hermano Mururata. La cabeza vuela cientos de kilómetros hacia el oeste y se asienta en el medio del altiplano, y es lo que hoy se conoce como el Sajama. Este doble relato me parecía importante para localizar el origen de la modernidad no en la Revolución Francesa, sino en la batalla entre los titanes de la tierra andina hace millones de años, antes de los seres humanos.

114

EL ARTE CONTEMPORÁNEO ES

UNA GRAN HERRAMIENTA SOCIAL PARA ESE PROCESO DE PUESTA EN CRISIS, REINTERPRETACIÓN Y REEVALUACIÓN DE MODELOS DE PODER ASENTADOS EN LOS SECTORES MÁS PROFUNDOS DE LA MENTE, EL SUBCONSCIENTE, EL CUERPO, LAS CÉLULAS, EL AURA Y EL ALMA DE VASTOS SECTORES DE LA SOCIEDAD MUNDIAL.

Industrial es la revolución de la técnica y la industria y seguimos nutriendo esa corriente de pensamiento y procesamiento del mundo. La evolución técnica que termina salpicando las artes con la aparición de la fotografía y el cine, está basada en ese relato de una humanidad que siempre mira al sol con la esperanza de un poder que no le alcanza, destinado a las deidades. Benjamin imagina un Ángel que avanza siempre hacia el futuro promisorio de la modernidad, pero que también mira siempre hacia el pasado, sin fijarse en lo que va arrasando. Todo lo que planeamos se destruye a medida que caminamos, y este ángel nunca da vuelta la mirada para ver lo que puede suceder. Se queda viendo, impotente, las ruinas del planeta que aparecen a sus pies. Como humanxs, lo que necesitamos es cambiar la mirada, darles una vuelta a nuestros conceptos, a nuestras certezas.

¿Qué hacemos entonces con las deidades locales asediadas brutalmente y confinadas al anonimato? ¿Qué con una forma de pensamiento que todavía se conmueve ante la posibilidad de un más allá de la técnica, que cuando mira paisaje no mira territorios fructíferos para minas a cielo abierto o socavones infinitos en las profundidades de la tierra sagrada? ¿Qué podemos sacar de la tierra que no sean materiales de construcción, materias sometidas al desarrollo de la humanidad y solo la humanidad y nada más que la humanidad? “Illimani In Situ” regresa a esas preguntas, y con el proyecto, buena parte de las piezas producidas ese 2019. No se trata entonces de la autoaniquilación como especie, sino de la coexistencia, idea abiertamente nociva para el capitalismo extractivo. Gotas caen de un desfiladero. El sonido guía la imagen.

Nunca el agua de deshielo había sabido tanto a historias y mitologías enterradas en surcos y acequias. Nunca el agua había sido tan profunda en sueños e imágenes de nevados imaginados en la mirada empurpurecida de cientos de habitantes que sí consideran que la montaña asume una responsabilidad en la estabilidad emocional del paceño.

115

SANTIAGO CONTRERAS

SOUX rEino dEl TError (mUrUraTa) (2015), 17 fotografías intervenidas, 2 reproducciones intervenidas, 17 postales de Google Earth, dibujo de mapa sobre pared, dimensiones variables

Fenómenos como estos hablan de un paisaje de inteligencia escindida: el hemisferio rebelde y el romántico se disputan el recorrido del agua que cae de la montaña. Por romántico entiendo ese paisaje quieto, inmóvil, normado, imperante en las imágenes del mundo. Es el rebelde el que me interesa, el que les da actividad, acción y significado a los sucesos.

María Fernanda Sandoval observa las imágenes en una de las tantas peregrinaciones hechas al lugar. Y como en la ficción de mi relato, se asombra de las profundas vastedades que una gota de deshielo contiene, de los muchos hechos que produce una estalactita de hielo al hacerse gota. Nunca el agua de deshielo había sabido tanto a historias y mitologías enterradas en surcos y acequias. Nunca el agua había sido tan profunda en sueños e imágenes de nevados imaginados en la mirada empurpurecida25 de cientos de habitantes que sí consideran que la montaña asume una responsabilidad en la estabilidad emocional del paceño.

Nos comemos la montaña, la montaña nos come, obra de Sandoval, es una serie de cuatro ensayos en video y un registro fotográfico, resultado de una investigación antropológica en torno al paisaje natural, que busca entender cómo, a lo largo de los siglos, se ha intervenido la base de la montaña en función de dos ciclos del agua entrelazados. El primero es estacional y lo determina la abundancia de agua en la temporada de lluvia y su escasez

118
25 En referencia a Illimani púrpura (2010), novela de Juan Pablo Piñeiro.

MARÍA FERNANDA SANDOVAL noS comEmoS la monTaña. la monTaña noS comE (2019), videoinstalación en cuatro canales, video HD, color, sonido, ex-Estación de Trenes, La Paz. A la izquierda, vista de sala. Arriba y páginas 120 y 121, stills de los estudios audiovisuales.

almacenamiento en la temporada seca. El segundo, el más interesante, es diario: las acequias y los sembradíos son regados hacia las cuatro de la tarde por el agua que baja hacia los valles y quebradas después de derretirse en las alturas de la montaña al mediodía. Esto se debe a que ese sector de la montaña mira al oeste.

En los videos se ve el recorrido del agua, la aparición de la corriente cuando deshiela, las primeras cascadas y chorros, su acopio en las acequias, su suministro a la población de Cohoni. En esos tránsitos, el agua puebla las imágenes de la montaña y ocupa así un lugar determinante en la construcción del paisaje cultural de toda esta pequeña región ecosistémica.

Los videos me han puesto a meditar sobre algo que la Ciencia y la educación tradicional nos enseñan con tanta vehemencia: que hay un ciclo, que el agua tiene unos estados de la materia reconocibles, estudiables, definidos para caracterizar reacciones químicas. Nos plantea una relación técnica con la materia y lo que puede significar para lxs humanxs. Nos enseña que el agua genera vida, que se toma y sacia la sed. Llevamos generaciones afirmando ese tipo de verdades. En la obra de Sandoval el relato es diferente. El enfrentamiento con el agua es de carácter contemplativo, y ahonda en una meditación acerca de esos recorridos. En las imágenes, el agua se hace táctil, se hace personaje a partir de los recorridos que la conducen montaña abajo, pero también nos transfiere un sentido ontológico. El goteo es consistente, es vasto, y confirma los temores de unas gotas que van a desaparecer con los glaciares en retroceso. Los videos de María Fernanda son premonitorios. La segunda parte del trabajo se tradujo en una instalación y una intervención urbana 26 . En Illimani Púrpura, su segunda novela, Juan Pablo Piñeiro hace referencia a la capacidad del Illimani de relativizar la existencia, la vida y la muerte, para así establecer posibles realidades alternas ligadas a la nieve y al 26 En el subtítulo “Bosques en retroceso” me refiero en detalle a esta parte del proyecto.

PODRÍA SER UN CÓMIC DE BATMAN, PERO PARECERÍA QUE ASÍ HA SUCEDIDO, QUE EL RELOJ DE LA ESTACIÓN DE TRENES SIGUE CORRIENDO, PERO EL DE LAS OBRAS DENTRO DEL CENTRO DE LA REVOLUCIÓN CULTURAL SE ESTANCÓ, INDEMNE A LA PANDEMIA, AL CALENTAMIENTO GLOBAL, SUS GOTAS CONGELADAS EN LOS PÍXELES GRABADOS EN LAS PAREDES COMO SI FUERAN ESTÉNCIL.

122
y

magnetismo de la montaña. En la realidad de la ciudad, los personajes pasan por una serie de suplicios que solo la borrachera y la montaña son capaces de procesar. La montaña más célebre de La Paz tiene en la novela la capacidad mágica de abrir portales, de abrir el tiempo y el espacio para que los personajes deambulen en sus propias, caóticas existencias, espejos de la propia ciudad y sus conflictos.

Para mí, entender las gotas que emanan de la montaña como portales me permite pensar en relaciones cuánticas 27 entre público y obra. Estoy convencido de que las energías que se mueven en la obra de arte tienen capacidades psicomágicas de congregar sitios, historias y otro tipo de existencias que rodean su aura primaria. Quiero creer (porque mi convencimiento no se apoya en experimentos científicos) que las gotas que María Fernanda observaba al momento de grabar el video eran conductoras de sabidurías que empurpuraban el sentido del paisaje, que lo dotaban de una agencia. Estas mismas, bajo la mirada técnica y científica, no tendrían la opción de un salvoconducto ante la fatalidad del cambio climático.

Los videos de María Fernanda se proyectan sobre la torre del reloj de la antigua estación de trenes de La Paz. Las gotas sincopan con el paso de segunderos y minuteros, creando así una suerte de cuenta regresiva para el derretimiento del glaciar, de los polos, o para el catastrófico despertar de las montañas, inicio de una gran marcha sublevada de cúmulos de materia y agua, corrientes furiosas que desafían los hechos científicos y los relatos de la extracción, para sepultar detrás de sí las construcciones e historias de la humanidad. La torre del reloj: signo de esa posibilidad de medir y controlar el tiempo, de la velocidad del ferrocarril, del paso de la modernidad por los paisajes. Por sus velocidades antes inconcebibles, el ferrocarril fue el principal conducto para la conquista mundial del paisaje. Describe y pinta en la memoria las imágenes de una relación de las masas urbanas con los miles de kilómetros cuadrados de tierras fértiles listas para conquistar y someter.

Los videos de ese flujo material de gotas de agua establecen una relación oportuna con el tiempo humano, porque no pueden medir el tiempo geológico de gotas de agua que hubo antes y que seguirá habiendo (tal vez no en ese lugar). También cuestionan el tiempo cronológico de la obra de arte contemporáneo, la relación entre el registro de la realidad en la montaña –esa relación extractiva que se hace de las imágenes del Illimani– y el tiempo expositivo de la experiencia in situ con la torre. El registro es pues,

27

La cuántica como práctica medicinal alternativa es capaz de entablar una relación entre cuerpos por medio de energías, pensamiento e intenciones.

123
ANUAR ELÍAS QUEHUaya (2018), video HD, 19’ 20’’, color y B/N, sonido

también, un viaje temporal. La pieza es site specific como documento de un estado de la montaña en los meses de junio, julio y agosto de 2019, y como tiempo expositivo suspendido por la cuarentena (la exposición tuvo que cerrar antes de tiempo y las obras permanecieron allí, congeladas, hasta que el CRC reabrió en octubre de 2020).

En la obra, el tiempo es entendido como un signo de la aceleración que la Revolución Industrial estableció para todo el planeta. Es también un presagio del tiempo que queda antes de las crisis relacionadas con la escasez comprobada de los recursos naturales. La obra parecería resistirse a ese destino. Un tiempo al que el otro tiempo de la montaña parece resistirse. ¿Congelar el tiempo? Podría ser un cómic de Batman, pero parecería que así ha sucedido, que el reloj de la Estación de Trenes sigue corriendo, pero el de las obras dentro del centro de la Revolución Cultural se estancó, indemne a la pandemia, al calentamiento global, sus gotas congeladas en los píxeles grabados en las paredes como si fueran esténcil. Lejos del reloj y lejos del Illimani, lejos del Choqueyapu: Anuar.

Anuar en los Andes.

Anuar que se ha hecho boliviano, Anuar en las montañas, Anuar acercándose al lago.

Anuar Elías es un artista mexicano-boliviano (en el orden afectivo es las dos cosas a la vez). La obra que lo localiza paseándose por el altiplano cámara en mano hasta la orilla del Lago Titicaca se llama Quehuaya . Muchxs artistas plásticxs han encontrado en el fondo azul del Lago, en el horizonte de sus aguas interminables, fuentes de referencia para la construcción de un paisaje que se asume colectivo de toda una amplia población peruana y boliviana. Ese océano a 3814 msnm es ícono de una gran cantidad de procesos creativos, eco de un llamado más grande que las obras mismas. En ese eco se lo ve a Anuar caminando, la mirada puesta en una isla que se llama Quehuaya, que se convierte en península en los inviernos y vuelve a ser isla en los veranos. En los últimos años, el retroceso paulatino de las aguas del Lago ha ido haciendo que Quehuaya sea cada vez menos una isla en la temporada de lluvias. Esa migración en su cualidad geográfica y en su posible denominación hacen que, como lugar y como paisaje, la isla/ península adquiera una profunda contemporaneidad. Territorio cada vez menos mutable y permeable, con la isla se diluyen costumbres, lenguajes, memorias y lugares atravesados por el afecto de la comunidad, como si de algún modo el paisaje fuera portador de una parte del ADN de una cultura. Quehuaya utiliza el lenguaje del documental, pero retiene en sí mucho de la mirada artística de su creador.

125

Un pato. El rostro de un ser humano. De un mono. La mirada de arcilla profunda como el tiempo que la guarda luego del horno, luego del color. El audiovisual abre con las imágenes de las famosas cerámicas de Pariti encontradas en la isla de ese nombre frente a Quehuaya. Dejan paso a uno de esos típicos murales de las poblaciones altiplánicas que presentan una idea de paisaje europea con estética local. Y luego es el Lago y sus paisajes. Juan Callizaya, un comunario a quien se le ha encomendado ser el guardián del agua del Lago durante ese año, realiza sus actividades en el agua y en la tierra, y entre tanto muestra la isla en toda su dimensión. La voz en off de una entrevista a Juan y la sutil música de Alejandro Flores acompañan los sonidos bajos del viento, del agua y de las rocas.

El documental va entrando en el aura no representable del paisaje, y que pertenece a la experiencia. Recoge un sinnúmero de sentidos poéticos del tiempo de la comunidad, y de las formas en que esta es afectada por la transformación y decadencia del Lago en aras de la modernidad arrasadora. Al documental le preocupa el lugar ritual del paisaje, capaz de conferirle agencias a sitios y objetos, algunos irreversiblemente perdidos por las continuas violaciones de la tierra, el agua y sus habitantes.

Y Juan, como confesando, Anuar como recogiendo, Santiago como escuchando y las piedras como queriendo huir. Una vez al año, Quehuaya desaparece (Juan). Ahora que ya no llueve, este pueblo ya no será isla (Juan remueve en el barco, el tiempo le responde, Anuar recuerda y Santiago anota). Se puede ver el camino a la ciudad, así como se respira la senda del progreso que se atasca en sequía, en piedras recogidas a cientos de kilómetros por las palliris de las faldas del Cerro Rico. La aparición del camino es síntoma del paso inexorable del Antropoceno. Allá, según me cuentan, los ríos ya no llegan al mar y el agua solo sale de las montañas… Y como respondiéndole a Juan: Sí, han dejado de existir, en la Chiquitanía se los ha tragado el fuego y el agronegocio. En el Parapetí 28 se han escondido en la tierra y no quieren volver a la superficie. Cómo podrían querer hacerlo si la realidad es lo que es y da lo que da. Y como si todo regresara a la oscuridad, Juan nos conduce al submundo acuático. Todo estaba noche. Tiempo oscuro era, dicen los abuelos. Montañas no había, animales, plantas no había, según lo que me contaron, pero nadie fue testigo. ¿Y si solo era el agua la que habitaba el mundo y producía todas las agencias conscientes que hemos heredado? El día que nació el tiempo, no existía la noche ni el día, solo agua corriendo sobre la nada, según lo que me contaron los abuelos. A la distancia, el archivista

28 Río en el Chaco boliviano que se adentra en la tierra y en los bañados del Izozog. Muchos ríos en esa zona se sumergen de ese modo.

126

El viento habla con el agua, el pez habla con la papa, el ave habla con el pez, las piedras hablan con el viento. Todo habla en la naturaleza. Y este lago está más callado que de costumbre. Los más viejos dicen que el agua se está durmiendo, porque no conocemos otra forma de nombrar el silencio. En nuestra lengua no existe la palabra sequía.

desprende imanes de eso que lxs humanxs habríamos querido recordar del futuro y no pudimos. Del Lago venimos y al lago vamos a volver, decían. Juan, yo pensaba que era al revés, que de la tierra a la ceniza había un solo paso. ¿Será que en el agua no se muere?

Me acuerdo bien que me decían: hijo, antes las piedras hablaban. Escúchalas, todavía murmuran. Y yo queriendo creer que me hablaban a mí, que Santiago iba a poder recordar muchos años después, a sus 55, que unxs viejxs una vez le habían dicho que eran las piedras las que hablaban y no Juan Callizaya, que eran ellas las que me transferían esas preocupaciones, ellas que todavía murmuran en las profundidades de las minas, de los valles, de los ríos de las tierras bajas. Y serían así otras voces que toman las voces ajenas para transmitir su palabra. Yo sirvo para esto, se decían. Aquí voy yo, decían, este es mi lugar. Yo querría saber si lxs abuelxs de la comunidad de Quehuaya también saben de ese lugar de la piedra, esa que se mueve, que es transportada en camión de la montaña a la carretera, de la carretera despedida a la cuneta, de la cuneta al río, del río a la montaña y de la montaña a la mina. O si la piedra podría repetir con la misma seguridad: este es mi lugar, yo sirvo para esto, aquí voy yo.

Esas palabras hicieron eco, eco que pertenece a ese recorrer, casi un redescubrir en el que Anuar acompaña a Juan en la tarea que la comunidad le ha encomendado: cuidar el agua.

Por eso, hijo, hay piedras grandes en estas ruinas, donde duerme la gente de antes. Me pregunto si los otros hablan todavía nuestra lengua. Y si ellos se preguntan sobre nosotros. Es la gran pregunta por lo que sucede fuera de las ciudades. El ejercicio de mirada e imaginación es contrario al progreso. La comunidad acá se pregunta por la ciudad como ese otro ajeno. Se hace pues evidente que la mayor parte de la producción creativa boliviana no ha logrado todavía ensayar esa mirada. Seguimos muy absortxs en pai-

127

sajes de indixs domadxs, quietxs, ya que así son menos peligrosxs, menos convulsxs, así son más salvajes.

Cómo podrían los ríos llegar al mar si las ciudades les han construido muros por donde caminar.

El viento habla con el agua, el pez habla con la papa, el ave habla con el pez, las piedras hablan con el viento. Todo habla en la naturaleza. Y este lago está más callado que de costumbre. Los más viejos dicen que el agua se está durmiendo, porque no conocemos otra forma de nombrar el silencio. En nuestra lengua no existe la palabra sequía.

Tanto tiempo el Lago inanimado, que todos sus componentes se han olvidado de hablar, se han olvidado el signo que les permitía entrar al universo de lo humano, eso que el arte ritual permitía y que hoy en Occidente quedó relegado. Eso han perdido. La sentencia de Quehuaya acaba siendo pues tremenda. Manifiesta de entrada lo que la Ciencia ya no puede comprobar, y es que el agua está dejando de comunicarse.

Bosques en retroceso

El sitio web visualcapitalist tiene entre sus publicaciones una serie de gifs en los que se muestra la transformación de diferentes paisajes y territorios desde que se comenzaron a tomar imágenes satelitales en el siglo XX y hasta enero de 2020 (LePan, 2020). Entre los territorios abarcados, hay uno de la provincia Ñuflo de Chávez, en el departamento de Santa Cruz. Esta imagen en transición muestra lo que el historial de Google Earth también permite, y sirve de evidencia cruel de las concesiones que el Estado –llamémosle gobierno neoliberal del MIR, MNR, ADN y otros en los años noventa o gobierno del MAS entre 2006 y 2019– hace a las empresas del agronegocio. Se ve la ampliación de la frontera agrícola con una contundencia visual tremenda, que desnuda todas las maquinaciones que los lobbies han podido perpetrar contra bosques y tierras de los pueblos originarios. Los fuegos arrasadores en la Chiquitanía en 2019 y 2020 son parte de un hilo conductor que toma los bosques como materia extraíble, elemento de canje disfrazado de desarrollo. Esta noción europea poco puede explicar las conexiones que, en las profundidades de los bosques, se hacen entre las comunidades y su contexto. Los gobiernos locales y nacionales siguen con la mirada puesta en prácticas modernas que imitan el modelo desarrollista de la Revolución

128

Esta página y páginas 130 y 131: MARÍA FERNANDA SANDOVAL BoSQUE inviSiBlE (2019-20), plantines de queñua, Cubo de Cristal, Centro de la Revolución Cultural, La Paz; plantación colectiva de queñuas, Parque Urbano Central, La Paz

130
131

Industrial en vez de encarar prácticas híbridas que contemplen también las formas de producción locales pre-coloniales.

Pocas piezas en el arte nacional han tocado estos temas. Probablemente las primeras preocupaciones por ese otro mundo las ha representado Melchor María Mercado a mediados del siglo XIX, en dibujos testimoniales, muchas veces repletos de imaginación mágica. Dos piezas se realizaron de forma relativamente simultánea en medio de estos desastres naturales: Bosque invisible (2019-20), de María Fernanda Sandoval, y Duelo, una instalación de Claudia Joskowicz presentada en la Bienal de Santa Cruz de 2020.

En Bosque invisible, pieza hermana de Nos comemos la montaña, la montaña nos come, se trasladan cientos de plantines de queñuas desde unos viveros hasta el centro de la ciudad y se los planta en una acción colectiva en el Parque Urbano Central (PUC). La pieza, de carácter procesual y relacional, lleva a Sandoval a viajar por tercera vez a las faldas del Illimani. Allí, entablando un nexo con comunarixs, define la importancia de visibilizar en la ciudad esa especie arbórea. Los plantines se instalan en el cubo de vidrio que es parte del Centro de la Revolución Cultural y acompañan durante unos días una instalación de Ariel Tórrez (una maqueta topográfica del Illimani suspendida en el aire). Tras varias semanas en esta especie de invernadero, acompañadas de paja para facilitarles la vida, las queñuas son transportadas al PUC, donde, en colaboración con la alcaldía paceña, se recluta a una gran cantidad de voluntarixs para plantarlas. La acción potencia un discurso de lo colectivo y lo público a diferentes niveles, pero lo que más me interesa tiene que ver con un sentido de transacción de paisajes. La migración potente de los árboles los convierte en asunto de debate público, y su desplazamiento demuestra ser también un desplazamiento del capital cultural de un sitio a otro. Yo sigo pensando, pero, que son mucho más que unos plantines que migraron a la ciudad como lo hicieron cientos de miles de bolivianxs que prefirieron las calles abarrotadas a los senderos polvorientos, las acequias, los páramos y las plantaciones del campo. ¿Será que las queñuas también prefirieron ese destino?

Estas queñuas son de igual manera agentes históricas de un testimonio mayor que ha construido el sentido de nación: muchos de sus bosques, cuya extensión ha sido debatida por historiadorxs y biólogxs, sirvieron de leña para la minería temprana en toda la altiplanicie andina. La queñua es un árbol sagrado y aparece en diferentes sectores del territorio andino (Isla del Sol, Sajama, base del Illimani, entre otros). “Estos bosques han sido utilizados durante siglos, pero el uso insostenible ha producido la pérdida de extensas áreas boscosas a lo largo de los Andes. Se estima que en Bolivia

132

actualmente persiste sólo el 10% de la superficie original de los bosques de queñua y que el 85% de las especies de queñua se encuentran bajo algún tipo de amenaza.” (Gómez, M. I. et al., 2014: 4)

El debate sobre la situación de la queñua viene para mí acompañado de una imagen que mi abuelo materno, potosino, incrustó en mi cabeza a una edad muy temprana. El Cachafaz, como le decíamos, me decía que se dice en Potosí que el Cerro en tiempos previos a la minería estaba poblado de queñuales. Hoy completamente desaparecidos, se aparecen en mi memoria como pobladores fantasmas de los lugares recónditos del gran relato de la minería boliviana. La minería es una de las actividades humanas que más madera requiere: puntales de los socavones, paredes internas de los túneles, rieles para los carromatos. Pero la madera también fue fundamental para los molinos e ingenios en tiempos de la Colonia y la República temprana. Este retroceso del bosque en manos de un extractivismo primitivo me parece constitutivo de la nación. Es la imagen de su ideal de desarrollo.

Por eso la obra de María Fernanda Sandoval me parece tan importante: porque pone de nuevo la lupa sobre la situación del bosque endémico y natural, menguado a lo largo de los siglos como las deidades en tiempos de la extirpación de las idolatrías. Esa pérdida de agencia de los bosques ha sido recuperada de manera simbólica por una acción sencilla pero contundente, sujeto importantísimo de un discurso ambiental alternativo a la ecología tradicional. Estas queñuas representan esa otra parte del país. Lo hacen sin quererlo, pero con la profundidad de sus anhelos de hacer soberanos sus territorios, ante la expansión minera en el Illimani, permitida y agenciada por los gobiernos neoliberales de los noventa, por los del MAS y por el de Áñez.

CENIZA CLAVOS CARBÓN Y SAL DE LÁGRIMAS AÚLLAN LOS LOBOS, SIEMBRAN LAS SOMBRAS CLAVAN LA MIRADA LOS BUITRES

EN DUELO DESANDAN SALVAJE PARAJE CALCINADO

A cientos de kilómetros de ese bosque futuro, en el centro de la ciudad de Santa Cruz, durante unas cortas semanas, antes de que la pandemia cerrara todos los museos y galerías, y tras haber sido postergada por los conflictos políticos de octubre y noviembre de 2019, se inauguraba la última Bienal de Arte de Santa Cruz, titulada Lo público, con curaduría de Raquel Schwartz y Douglas Rodrigo Rada. La instalación de Claudia Joskowicz presentada allí me interesa, en primer lugar, porque implica un cambio

133

Página anterior:

CLAUDIA JOSKOWICZ dUElo (2020), tierra, cenizas, troncos y ramas calcinadas, luz cenital, sillas

radical en los formatos y medios que ella suele usar (sobre todo el video, complejizado por un lenguaje cinematográfico notablemente estético y técnico, con el que realiza escenificaciones y re-enactments).

Duelo enfrenta al espectador a un conjunto de troncos calcinados y cenizas provenientes de los paisajes que se quemaron el 2019 en la Chiquitanía. Frente a esos restos de bosque se colocaron sillas para poder quedarse un rato contemplándolos. La sala está pintada de negro para facilitar la oscuridad y una luz tenue ilumina la madera carbonizada. Hay un guiño autorreferencial en esta pieza: el espacio oscuro invita a la contemplación de otro espacio u objeto –sea pantalla, pared iluminada o troncos calcinados–, formato expositivo que Claudia suele habilitar para sus trabajos.

LA OBRA LLEVA LA CATÁSTROFE DE LOS INCENDIOS A LA MISMA CIUDAD EN LA QUE VIVEN LXS DUEÑXS DE LAS EMPRESAS DEL AGRONEGOCIO. ES UNA DECLARACIÓN POLÍTICA SOBRE LO VIVIDO, SOBRE LO QUE PROVOCA LA EXTENSIÓN DE LA FRONTERA AGRÍCOLA. HACE PÚBLICO

ALGO QUE QUEDABA RELEGADO A LO PRIVADO DE LAS REDES SOCIALES Y LO DISTANTE DE LOS MEDIOS

La obra lleva la catástrofe de los incendios a la misma ciudad en la que viven lxs dueñxs de las empresas del agronegocio. Es una declaración política sobre lo vivido, sobre lo que provoca la extensión de la frontera agrícola. Hace público algo que quedaba relegado a lo privado de las redes sociales y lo distante de los medios, y en ese sentido, entra en sintonía perfecta con las premisas conceptuales de esa edición de la Bienal: reflexionar sobre nociones de publicidad, política y conflicto en el corazón de Santa Cruz de la Sierra. El público vela un bosque que está lejos y que poco le importa. Mientras el fuego suceda allá, en las ciudades lo único que se siente es el humo enceguecedor. La obra es cruel con el público, lo obliga a presenciar el desastre, le está presentando pues a sus muertos, los cuerpos derruidos de kilómetros cuadrados de bosque avasallado. De alguna torcida manera, lo obliga a entrar a la sala de velatorio. Se parece incluso a una morgue.

136

137

La obra visibiliza algo que para la ciudad permanecía como tras un velo, en ese lugar que llamamos “interior”. Algo que estaba en la imaginación se presenta tal cual, para reconocer corporalidades hasta entonces abstractas. Un sujeto material va formándose en el imaginario del público: esos troncos calcinados eran parte viva de un ecosistema con agencias y objetivos propios, con deseos y anhelos. La pieza permite nombrar afectos y efectos del extractivismo, porque el público está identificando esos cuerpos y ahora puede reclamarlos.

Los bosques quemados que a “nadie” le importaron, que fueron presa de un modelo económico que el gobierno de Luis Fernando Camacho 29 pretendía exportar al resto del país, esos cuerpos de bosque que retrocedieron con el fuego, con la tala, con el chaqueo y el desmonte, tienen un resarcimiento simbólico en la pieza de Joskowicz.

29 Líder cívico cruceño, pieza fundamental en el desenlace de la Revolución de las Pititas. Cuando Jeanine Áñez llegó al poder en noviembre de 2019, Camacho y sus colaboradores se arrodillaron en el piso del Palacio de Gobierno y rezaron ante una Biblia. Candidato presidencial en octubre de 2020, en marzo del año siguiente fue elegido gobernador del departamento de Santa Cruz por amplia mayoría.

MARÍA RIVEROS l a BoTánica ES Una ilUSión, dEl arTE dE dEmorarSE (2018), restos de árbol en el piso, chiltos, hilo de pescar. Vistas de sala

El paisaje busca obituario II

El paisaje va a caer, va a fallar, va a sucumbir. La democracia va a fallar. La naturaleza también.

No defenderemos a la Madre Tierra. No, no la defenderemos. El Rey ha muerto, larga vida al Rey.

Me encuentro pensando en el viento, trato de hablarle, el viento no escucha (solo King Crimson). Quiero creer en un recorrido circular que sea el lugar emancipado de piedras, rocas, cúmulos de tierra y polvo que, reunidxs, apuntan el dedo a las cúpulas dirigenciales de las nuevas empresas mineras, de las burocracias de las cooperativas, a los altos mandos militares, al sonido de las billeteras de lxs empresarixs chinxs en el Illimani y al desangrado del agua contaminada de las minas sobre los ríos de la zona del Guanay. Quiero pensar el sendero circular de entrada y salida de esa gran pregunta, camino que migra y re-migra, que va y regresa, que aplaude a medianoche para aplaudir de nuevo al mediodía. Santiago toma la lupa, la mira, la estudia, observa ahí adentro y ve los detalles que emanan del vidrio. En su percepción, los destellos de la piedra se reproducen como avalanchas. Así se debe sentir sobrevolar en avioneta los nevados cuando brilla la luz del amanecer. Santiago se asombra del color de la flor, ese brillo respira, absorbe y contagia, no enfermedad sino asombro. El brillo se mueve y deja paso a las fibras, líneas acumuladas en células que hacen de la planta lo que es. Es de lo que se han olvidado en las mesas de debate ambiental de las empresas mineras. Grandes agujeros y migración de toneladas milenarias de material transportado, movilizado y reconfigurado, la corteza delgada del planeta y Werner Herzog31 sobre olas de magma y lava preguntándose por la fragilidad de nuestra existencia: eso aparece frente a Santiago. Todas las preguntas y afirmaciones sobre el planeta, inmensurable, diáfano, incomprensible, toman la imagen por asalto en los ojos de Santiago, que solo puede pensar en Herzog y en Julio Verne imaginando cámaras con aire y mundos desconocidos en la res extensa, tan profunda y gigantesca que solo

30 Cuando las piedras cantan, imagino que se abren espacios temporales que dan lugar a despertares insospechados. Mis textos, una suma de extractos, habían sido minas a cielo abierto. (Contreras, 2017).

31 En el documental Into the Inferno, Herzog hace un recorrido por diferentes volcanes y las leyendas que los pueblos han construido en torno a ellos.

138
30

Titanes, Leviatanes y Tíos de la mina pueden comprender, porque evaden nuestro razonamiento y nuestra imaginación. Y aun así Santiago imagina lo que queda ahí adentro, se acuerda de ese video de Charles y Ray Eames que, cual microscopio, se adentra en el mundo cuántico de los dilemas universales, de las preguntas profundas de la creación, de la imaginación de las montañas, de sus paisajes y lo que significan para las grandes transacciones del capital (Eames y Eames, 1977). Y Santiago ahí, lupa en mano, contemplando algo tan sencillo como una flor de lavanda, medita sobre el cosmos, sobre las patologías de un cuerpo que se extingue con mal de mina, sobre el coronavirus y los cuerpos apagados y sobre la vida después de la muerte, sobre la energía de la cosas y la energía de los mineros que compactan la tierra, que perforan y atraviesan la corteza terrestre solo para buscar la confirmación de que el Tío ha podido existir más allá de los socavones, de que la Pachamama se extiende por abajo y alrededor, al centro y por atrás. Y la lupa le confirma que el arte puede poblar todo eso, que las imágenes cargadas en el altiplano pueden ser también parte de esa idea del mundo que habitamos. Santiago se acuerda de la arqueología, de las respuestas petrificadas, de los hallazgos bajo capas de tierra, de la geología y sus interrogantes, de la búsqueda de respuestas sobre el origen. La lupa le devuelve las preguntas, repletas de asuntos de preocupación que comparte con Bruno.

Y, sin embargo, sigue sin encontrar un obituario ideal para el paisaje. Huajchilla, diciembre de 2020.

I talk to the wind 32

A la María la he imaginado muchas veces caminando la tierra. Otras tantas la he visto recorriendo largas distancias en ese su estar en el mundo, que muchas veces siento más en las nubes que en la superficie de la tierra. Porque así de hada se la siente, añorando lo que el progreso no ha tocado. Veo una parte de su obra como una suerte de puente entre agencias animadas e inanimadas. Un puente que Bruno Latour prefiere no construir. Según él, para volver a hermanar las ciencias sociales y las naturales (cada una en una orilla de un río imaginario), lo que se requiere es hacer kayaking a través de la naturaleza (que vendría a ser el río) (Latour, 2005: 15). En mi mirada, el puente sí funciona para hermanar ambas entidades, solo que requiere de

139
32 Título de un tema de King Crimson del disco The Court of the Crimson King (1969).

otras fuerzas, otras determinaciones, que se me hacen palpables en estas regiones del mundo donde todavía vemos deidades en la tierra, y que para mí están muy presentes en la obra de María. Hubo un ser que nunca quiso construir paredes y muros, sino puentes. Los puentes se caían y nunca nadie pudo terminar de rearmarlos. Hace poco pensaba que construir debería ser un acto de amor, y que en ese proceso es que las creaciones humanas respiran el aura y el alma de sus creadorxs33 . Creo que la obra de la María respira esa profunda generosidad hacia la tierra y sus cohabitantes, y ese es el testimonio de quien conoce la tierra, la trabaja, la comprende. La María, que ha vivido en Camata, a más de diez horas en auto de La Paz, entiende plenamente lo que es vivir con la tierra. Luego de hablar con ella, Latour argüiría que la María es capaz de entender plenamente su idea de composición, tan cercana al compost, al componere, al comprender lo que se vierte en su Manifiesto Composicionista.

En su exposición La botánica es una ilusión, del arte de demorarse (Museo Nacional de Arte, 2018), María Riveros presentó una serie de trabajos que tratan de su deambular por este mundo. Muestran eso que le sirve para construir personajes y constituirse como parte de su propia obra, relajada, poco apegada a lo formal. La pieza central era una instalación en la que los restos de un árbol cortado yacían en medio del Patio de Cristal, tenuemente iluminados desde el interior de las ramas para proyectar sombras al resto de la sala. Encima del cadáver del árbol, suspendidos en el aire, deambulando entre la bóveda de vidrio y las ramas que poco a poco se iban secando, cientos de chiltos (en Perú, “aguaymantos”) flotaban como hadas congeladas en el tiempo, como constelaciones sobre las ruinas del tiempo humano y no del tiempo del arte.

33 A lxs estudiantes de una de las materias que doy en la carrera de Arquitectura de la Universidad Católica Boliviana les encargué que le escribieran una carta a su yo arquitectx de sesenta años. La de Aitana Medina, que me afectó profundamente, decía entre otras cosas: “Crear es un acto de generosidad”.

140

Se proyectaba un primer video sobre la pared al fondo del Patio, con el campo de flores como antesala, que mostraba a la María sentada en un sembradío, en compañía de una vaca que pasta. No sucede más: ella está ahí como si el tiempo se hubiera atascado. La María y la vaca congeladas en un momentum infranqueable: el video es casi un comentario anecdótico, no premeditado, el fragmento fluido de una vida (la de María) junto a la tierra. La vaca comparte un espacio que es parte del espacio que compartimos lxs demás mortales sin darnos cuenta del equilibrio natural. Probablemente es esa idea de terreno la que, a kilómetros de distancia, en las profundidades del socavón, René Poppe comenzaba a comprender cuando hablaba de las presencias inmateriales en la viscosidad del aire de interior mina.

Página 140 y esta, en sentido horario: MARÍA RIVEROS 1. ya ES PrimavEra y no Han vEnido aún Por mí (2018), video SD, 1’ 18’’, color, sonido. 2. dE cUando TE aBandonan En El BoSQUE, PorQUE no Hay nada QUE comEr (2016), video SD, 1’ 37’’, color, sonido. 3. FlorEcErTE El ciElo, nUEvE díaS Para convErTirSE En Flor (2012), video SD, 5’ 9’’, color, sonido.

141

Hay ahí, creo yo, una profunda conciencia de las implicaciones del cohabitar. Desde su interés profundo por las cosas que crecen (Bilbo Bolsón), se mueven y pueblan el terreno, la María se ha dedicado a un saber científico que no necesita de la ciencia. De ese espíritu emana un siguiente video, que es el registro del andar de un insecto. Es eso y nada más, infantil incluso, sin dobles intenciones, más que la de hacer evidente a ese otrx habitante. El video es un fragmento casual que se detiene en el tiempo (menos congelado que Pulacayo en la obra de Nayra Antezana), y ahí, o en el tiempo circular, o cíclico, o en el tiempo dentro o fuera del tiempo, se mueve su interés por los insectos, por las plantas.

–¿Iván, tú le hablas al viento? – le preguntan en una charla al amanecer.

Las banderas atrás se cuelan, las presencias que presagian a sus seres imaginados se aglomeran a la salida de la estancia.

–¡Iván! ¿O es el viento el que te habla a ti?

Las miradas se encuentran, se estancan, Iván me mira como buscando una respuesta en mis ojos, que se cierran.

–Iván, el viento te estaba buscando– le dicen desde atrás, como si yo no existiera.

Iván Cáceres ha comprendido en su obra lo volátil del altiplano. Creo que en parte se debe a que siempre ha caminado en ese viento que se escurre por las calles de El Alto, muchas veces con una proyectora en la mano, con disfraces y otras parafernalias, para llevar posibles historias de lo que El Alto es. Lo imagino prestándose corriente de la seño de la esquina o de los broasters, del internet, de la tienda, de la frutera, o incluso de la juguera del bar. Alguna vez también he imaginado que la corriente salía de un generador conectado a un minibús.

En ese desvelo de intenciones y noches ligeras lo veo al Iván, que siempre ha sabido ingeniar personajes, máscaras y prótesis para extender su humanidad exuberante, capaz de ver cosas en las rendijas de la realidad que otrxs humanxs no pueden. Iván ha sido oveja, ha sido chola sin rostro, ha sido la voluntad de la lana de hacerse figura antropomorfa, ha sido conducto del Tío en la autopista que conecta La Paz con El Alto.

En Psicoarquitectura: el recorrido maquinal (2016), un personaje (digamos, Iván 3.0) surge de una caja de cartón cargando un libro, y en su transitar las orillas de la seca represa de Incachaca, termina librando el libro a una deriva, dejando que se pierda en las “diáfanas” aguas de la laguna. En este video, hay una relación que para mí alude a la pintura de Kaspar Friedrich El caminante sobre el mar de niebla. Ahí están las criaturas de Iván, que es él y otros y otras en una sola figura, por momentos sin género, buscando

142

IVÁN CÁCERES PSicoarQUiTEcTUra:

El rEcorrido maQUinal (2016), videoinstalación de dos canales, video HD, 10’ 39’’, color, sonido

EL TINTE VERTIDO CONTAMINA BREVEMENTE LA IMAGEN ROMANTIZADA EN POSTALES TURÍSTICAS DE UNOS LLANOS Y SELVAS QUE EN LAS CIUDADES CREEMOS PROTEGIDAS. LA INTERVENCIÓN ES ALGO MÁS QUE ARTE FUERA DE LA GALERÍA Y EN EL PAISAJE. ES TESTIMONIO Y SIGNO DE ESAS PRÁCTICAS AVASALLADORAS QUE SOMETEN A PUEBLOS HUMANOS, ANIMALES, VEGETALES Y MINERALES QUE CONSTITUYEN ESE LUGAR.

IVÁN CÁCERES Una Forma dE concrETar algo QUE nUnca ExiSTió SE HacE inFiniTo como El griTo rEdondo dEl SEr rEdondo (2015), video HD, 6’, color, sonido

144

un lugar en el terreno, un espacio al cual acogerse. Y parece que el paisaje finalmente va a tragárselxs, un paisaje que está más en la ficción elucubrada en las arquitecturas de Iván que en la realidad misma y sus fenómenos climáticos. Hay algo de monumental que no llega a definirse del todo, y que sin embargo construye una casi morbosa relación con la cordillera y la represa que da agua a la ciudad de La Paz, locaciones de los sueños de Iván, con esos personajes que cargan y despachan el libro perforado para entablar batallas con la masa de agua mansa que la represa contiene. Una forma de concretar algo que nunca existió se hace infinito como el grito redondo del ser redondo (2015) es otro video que muestra una figura humana tratando de elevar un artefacto con ayuda del viento. Como si se tratara de un ser invisible que se desenvuelve entre hierba seca, piedras y tierra, el artefacto, una especie de chiwiña34 , escapa al sometimiento de lx humanx, se acopla al viento y a la tierra. La futilidad de la acción es tan evidente que objeto y contexto la asumen y devuelven esa inercia al sujeto. Me hace recuerdo a tantos personajes desafortunados de las ficciones de Herzog, incapaces de domar lo natural. El ser humano regresa al centro del conflicto, a lo que Latour arguye como “segunda revolución copernicana”35 . Latour ha reflexionado mucho sobre lo que lxs científicxs identifican como zona crítica, esa capa de equilibrios frágiles y volátiles que se encuentra por encima del magma. Él lo llama “the terrestrial” (Latour, 2018) y plantea que es altamente disputable desde lo epistemológico. Su argumento es que las formas vivientes no están en el medioambiente, sino que lo constituyen. Existimos en el mundo acompañados de millones de microbios, parásitos, virus, todo parte de una gran estructura, distante de la idea –que tanto tiempo ha gobernado a la humanidad– de una existencia insular por fuera del ecosistema (Latour, 2018). Esa coexistencia es la que se hace palpable en este y otros trabajos de Iván Cáceres. Si bien centra su atención en la psicología del espacio y en las arquitecturas de su mente y sus historias personales, es capaz de dejar entrar otras existencias, plenamente consciente de lo que respira a su lado. Un ser político capaz de hablarle al viento que se desplaza por los caminos de su mente, y que siempre está pensando en las imágenes que reconfigura.

34 Estructura autoportante y móvil semejante a una sombrilla, utilizada en los mercados y ferias para dar sombra y protegerse de la lluvia. La chiwiña demarca un espacio autónomo dentro de las ferias, y ha sido sujeto de numerosas investigaciones, especialmente sobre los tambos, lugares de intercambio de productos en tiempos prehispánicos y coloniales.

35 Si Copérnico nos hizo pensar en lo circular del globo, aquí la intención es repensar desde lo micro en lo plano que nos alberga, territorio delgado que prácticamente flota sobre una esfera de fuego.

145

Lejano Oriente

Y Santiago un día confiesa: tengo un fetiche con el paisaje, con las imágenes de Google Earth y con la mirada satelital del planeta, un fetiche absoluto por comprender la topografía, la hidrografía y lo que constituye la tierra y sus formas.

En un paseo abrumador por el tiempo que se detiene en Google Earth, se ve la expansión de tierras ganaderas y el retroceso de los bosques; estancado ahí en el lapsus virtual: el tiempo. Si Google Earth gobernara los destinos del planeta, si una inteligencia artificial fuera capaz de reparar las grietas que dividen las ciencias de la Ciencia, si Google Earth entendiera eso que Latour con tanta convicción llama “Gaia”, si comprendiera empáticamente los deseos de las imágenes por retroceder en el tiempo, si solo pudiera sentir ese deseo inalienable de los territorios de administrarse a sí mismos, tal vez el mundo sería diferente.

En la obra de Raquel Schwartz, las aguas del río Mamoré se tiñen de varios colores. De repente, en medio del terreno más olvidado de la historia oficial boliviana, colores cargan agencias que el tiempo se ha encargado de borrar, el tiempo al servicio del Estado, el Estado al servicio de la extracción, la extracción al servicio del capital. Esos tintes son una referencia directa a la serie de acciones The Green River Series, de Olafur Eliasson, donde a partir de aguas y corrientes teñidas de verde se busca repensar el paisaje, la ciudad, sus ríos y el mismo Land Art.

En “Abubuya”36 , tercera edición del Workshop Internacional de Artistas “Km 0”, realizada en noviembre de 2014 en un barco navegante, el río Mamoré es repensado por un grupo de artistas nacionales e internacionales congregadxs bajo la organización de Kiosko y la curaduría de Raquel Schwartz. Performances, videoarte, fotografía y otros medios hicieron su aproximación discursiva al río, a la selva y al contexto humano, social y biológico. Esta acción colectiva permitió descentrar el discurso sobre el paisaje boliviano, tradicionalmente limitado a las tierras altiplánicas y a esos Andes “inmortales” que pueblan la cultura nacional. La selva y los ríos del Beni y de los llanos cochabambinos, pandinos y cruceños tienen a partir de “Abubuya” una suerte de resarcimiento. Ese paraje inhóspito, poco

36 En idioma mojeño-trinitario, “abubuyá” significa “dejarse llevar por la corriente”. (Andaur, 2014)

146

Esta página y las dos siguientes:

R AQUEL S CHWARTZ Po ST al ES d E l m amoré (2014), tintes orgánicos, agua de río

148

explorado en imágenes, tan poco construido desde la crítica y el estudio de la imagen y el sonido, de repente adquiere resonancia y sentido, se visibiliza en toda su complejidad y magnitud. Me gusta imaginar un libro por escribirse, titulado Historia de los paisajes nacionales, que repiense la construcción de lo nacional en torno al paisaje y sus aristas sociales y naturales. Un libro no académico, sino de chistes, memes y paisajes poco serios. Un cómic con superhéroe/ina/s y villanxs.

En Postales del Mamoré, el río manchado de Schwartz es también un río manchado de progreso, que grita desde lo profundo por otras alternativas. Es sangrado uterino de una tierra que acaba de ser violada, mancha menstrual de ciclos no permitidos, sonidos de un territorio que abraza el trauma de la tala y la quema como si fueran una violación legítima. La violación del Tío que entra en la noche. Esa mancha en el río es el grito silente y ahogado de las niñas que, inmersas en un machismo recalcitrante, necesitan cambiar el color de su cabellera. Es el grito de Jeanine Áñez frustrada y atormentada por su propio racismo incrustado. Ese chorro de colores que se diluye rápidamente en el río es también el sueño quebrado de chiquitanxs, mojeñxs, chiriguanxs, weenhayek, esse ejes y otras comunidades de los llanos tropicales y chaqueños ante el avance de la coca y la frontera agrícola. Es el grito susurrado y luego ahogado (quemado) de animales cazados, colmillos rotos y pieles vendidas después de la conquista depredadora del TIPNIS y otras reservas naturales. El tinte vertido contamina brevemente, sin mayores efectos, la imagen impoluta y romantizada en postales turísticas de unos llanos y selvas amazónicas que en las ciudades creemos protegidas. La intervención es por lo tanto algo más que arte fuera de la galería y en el paisaje. Es testimonio y signo de esas prácticas avasalladoras que someten a pueblos humanos, animales, vegetales y minerales que constituyen ese lugar. No es arte en el paisaje, es arte desde el paisaje.

En ese barco que llevaba por el río sueños de artistas y discursos y cuerpos de obra, también navegaban ríos frustrados que, en la zona del Guanay, se llenan del mercurio de la explotación minera del oro a flor de piel. ¿Puede navegar un barco un río? ¿Puede suceder al revés, como cuando Melchor María Mercado imaginaba un mundo donde los animales mandan sobre los seres humanos? ¿Podría el río navegar el barco?

“Abubuya” fue una residencia de arte atípica, que fluía a medida que el “Reina del Enin” se desplazaba por el Mamoré. Una residencia implica de por sí un desplazamiento en las ideas de vivienda y hogar. Acá, más cercana a un workshop, permitía esas sinergias que se dan cuando un grupo de artistas convive en un espacio cerrado, pero ahí afuera, en el interior del país.

150

En el mismo recorrido, una barcaza se ilumina mediante un dispositivo tecnológico casero, un rudimentario dínamo reciclado que, al girar con la corriente, genera suficiente electricidad como para abastecer varios LEDs con fibra óptica que dibujan pequeñas emisiones hacia el río. Es un trabajo de Sandra De Berduccy (Aruma). El formato expositivo de Corriente Mamoré desnuda el aspecto tecnológico en toda su precariedad, aduciendo que el retorno al principio físico de la invención de la luz eléctrica es importante para poder operar por fuera de las grandes tecnologías, y que la cuestión táctil es central en una relación horizontal con el terreno.

Aruma es una de las artistas bolivianas que mejor ha entendido esa reciprocidad con la tierra, y que desde el delicado equilibrio entre ciencia y arte ha sabido llegar, como el socavón más profundo del Cerro Rico de Potosí, a lo irreproducible de lo natural (Benjamin, 2019: 88). Creo que en buena parte de su trabajo hay una cuestión alquímica, por la forma en que observa, en las prácticas ancestrales, las zonas permeables entre la química, la biología y la espiritualidad. Se da ahí una sutil negociación con un mundo que viene de la ciencia del siglo XXI, pero que desoye el progreso y su glotonería de paisajes y pueblos. Aruma se sirve de la técnica para regresar al valor cultual de la obra de arte (otra vez Benjamin, 2019: 94), a esa condición mágica que, en otra pieza, había logrado la hazaña de que un cactus emitiera una señal eléctrica y se iluminase a sí mismo mediante luces LED (e-cactu, 2017).

151
MELCHOR MARÍA MERCADO “rEPúBlica Boliviana. Paz. mUndo al rEvéS”, del Álbum de paisajes, tipos humanos y costumbres de Bolivia (1841-1869), Archivo y Biblioteca Nacionales de Bolivia

El desecho tecnológico es un canal asombroso para contar historias, para establecer el contra-relato de una luz en un flujo oscuro. No puedo evitar pensar en un faro en movimiento que atrae la tierra firme a una barca que se mueve perpetuamente, y que ha sabido comprender, con el artista como artilugio, su capacidad de narrar a contracorriente los sucesos de su paso por la tierra. La barcaza es también una recuperación de la vida útil del objeto, una bienvenida al mundo de lo animado, a lo que trasciende a lx artista y se deja encender en los significados y signos que altera.

152

S ANDRA DE B

ERDUCCY

(A RUMA ) Izquierda: E -cac TU (2017), luces LED, circuitos electrónicos. Arriba: corriEnTE mamoré (2014), bote intervenido, dínamo casero, circuito eléctrico, hélice de madera, luces LED

153

Del día en que un cerro se hizo carne de montaña. (Norecuerdo minombreperoséquiénsoy37)

Un grafiti le habla a un territorio lejano:

Tú me quieres virgen tú me quieres santa tú me quieres colonizada y por eso, tú me tienes harta

Alejada de la pared, una pintura colonial en la que se representa una típica escena de la época: el “delivery” (sin que ninguna de las partes involucradas se dé cuenta del momento crucial en que lxs humanxs se convierten en bienes transferibles, en comida rápida) de dos hijas de familias de la nobleza española a un convento en Potosí38 . Una suerte de persiana de madera, a la usanza de los confesionarios, “protege” al público; vela la imagen de la pintura, que a su vez parece no poder contener el grafiti. A los costados, tres cortometrajes dirigidos por María Galindo y producidos por Mujeres Creando que se relacionan con la famosa pintura Virgen Cerro, de autor anónimo (siglo XVIII) 39 .

37 América hablándole al mundo en un video de María Galindo protagonizado por Norma Merlo (1934-2021).

38 Galindo escribe sobre la escena: “El cuadro presenta sólo tres personajes femeninos: una intermediaria y dos hijas que juegan el papel de bienes. Los otros personajes que componen el complejo universo femenino de las relaciones coloniales no están presentes en la escena; no están las esposas, no están las abadesas, ni las putas, ni las amantes. No están las hijas mestizas, ni las indias herejes perseguidas por la extirpación de idolatrías, e inclusive las sirvientas están omitidas de la escena, aunque sufren el mismo destino. En muchos sentidos su ausencia es otra forma de presencia omitida, escondida o escurridiza, y eso convierte a la monja-intermediaria y a las niñas-muñeca en figuras que encierran una compleja trama de personajes femeninos contenidos uno dentro del otro. Una trama donde únicamente el conjunto permitirá ubicar y entender su sumisión y la de todas las otras que en esta escena no aparecen.” (Galindo, 2010: 54).

39 Para el ensayo de Carol Gainsborg publicado en el volumen anterior de esta colección, Galindo se negó a brindar imágenes de una de las acciones de Mujeres Creando, alegando diferencias irreconciliables con la AECID y con Kiosko. Motivo suficiente para no intentar un nuevo pedido (N. del E.).

154

ANÓNIMO virgEn dEl cErro (c. 1760), óleo sobre lienzo, 60 x 45 cm, Museo Nacional de Arte, La Paz

Corre el año 2010 y en Madrid, corazón pulsante de la Colonia, a modo de participación en la exposición Principio Potosí , María Galindo propone el proyecto intermedial Ave María llena eres de rebeldía . Un año después, Principio Potosí arriba a La Paz desde Berlín. Nunca tocaría piso potosino. Once años más tarde, el mismo Museo Nacional Centro de Arte Reina Sofía que albergó las obras, adquierie la pieza que se había producido para el proyecto. Se trata de la primera producción cultural proveniente de Bolivia que integra el repositorio del museo madrileño. Más allá de la significancia de la adquisición para la cultura, el activismo y el feminismo nacionales, veo en la pieza una suerte de intromisión, un pulcro espionaje, una inserción malévola en el corazón de un país con el cual todavía tenemos relaciones de orden colonial (por más que ambos lo neguemos). Para mí esa pieza busca desbancar una narrativa desde el interior de la misma narrativa, desde dentro de sus instituciones culturales, en los márgenes en los que a María Galindo y Mujeres Creando les han posibilitado operar. Un dispositivo incrustado en lo más alto de los sistemas artísticos, posibilidad de un contra-relato autónomo y valiente en el campo expandido de las narrativas multidimensionales.

“Si la naturaleza es lo que hace posible recapitular la jerarquía de los seres en una única serie ordenada, la ecología política siempre se manifiesta, en la práctica, por la destrucción de la idea de naturaleza [...] Cuando el más frenético de los ecologistas grita, temblando: “La Naturaleza se va a morir”. Sí, el gran Pan está muerto. Luego de la muerte de Dios y la muerte del hombre, la naturaleza, también, tenía que perder toda esperanza. Era tiempo: estábamos a punto de nunca más ser capaces de hacer política.” (Latour, 2004: 26)

Desde un comienzo, uno de los pilares de la conquista del territorio andino fue la evangelización de sus culturas. Estado e Iglesia eran una estable pareja para la dominación. La religión fue un vehículo asertivo, que empoderaba a un grupo humano a la vez que desmontaba de manera sistemática el estilo de vida, las ideologías y las certezas de otro. En sus distintas versiones, la pintura Virgen Cerro es una de las representaciones más certeras de los efectos de la Colonia española. Sirve como radiografía de la integridad del sistema utilizado para decidir cómo se iba a construir un orden mediante las imágenes, y explica cómo se organizaba el poder desde la iconografía y la producción visual. El poder de unas clases sobre otras, del Hombre sobre la Naturaleza, de Europa sobre lxs indixs, de los hombres sobre las mujeres y un largo etcétera: todo ello puede ser decodificado en los rasgos plasmados en la pintura.

156

Si bien el proyecto de María Galindo se basa en la pintura que forma parte del repositorio del Museo Nacional de Arte de La Paz, me concentraré en la pintura que permanece en Potosí, en la Casa de la Moneda, por razones de proximidad con el Cerro que un día se vio hecho carne en la mirada de lxs habitantes potosinxs. El rostro de la Virgen María está inserto en la Montaña; la forma triangular, cónica, del vestido, podría asemejar, volcada, una vagina; una forma que casi todas las Marías coloniales tienen. Es coronada por el Hijo, el Padre y el Espíritu Santo, nuestra más querida Santísima Trinidad en plena conquista de la Montaña y posesión de la naturaleza, los elementos disueltos por la Fe brotando de ella, inmanentes.

La Corona: En la parte derecha de la pintura se encuentran el rey Habsburgo, un caballero de la Orden de Santiago y el donante en oración (el fiel que se consagra a la Iglesia, otorgándole ofrenda y muestra de santidad, para así alcanzar el Reino de los Cielos).

La Iglesia: En la parte izquierda, el Santísimo Papa, un cardenal y un obispo, también rezando (tal vez por lxs mitayxs indixs y sus almas torturadas, tal vez por el Tío de la Montaña, que acaba de casarse vaya a saberse con quién).

ANÓNIMO virgEn cErro (c. 1730), óleo sobre lienzo, 140 x 107 cm, Museo de la Casa Nacional de Moneda, Potosí

157

En la base de la pintura, una gran esfera celeste en la que se representa al Potosí de aquellos tiempos en todo su poder y riqueza. En esas escenas se muestra cuán significativas fueron las empresas de la Corona a la hora de extraer de (ordeñar) la Montaña. Lo femenino y la tierra; la maternidad y la ciudad; la menstruación plateada; las vísceras hechas túnel hacia el mismo final del mundo y la historia a punto de lograr una tan bien labrada amnesia. Un aneurisma militante. Porque éramos (y tal vez, con toda seguridad y su contradicción, somos) militantes; militantes de un sistema que le quita rostros a la Naturaleza, que puede cosificarla. Desde esa versión de Naturaleza se cosifica también a las mujeres, ya que se habilita la posibilidad de comprender sus cuerpos como territorio conquistable, con derecho a la privatización, al uso y a la violación. Y ese territorio se entremezcla con el cuerpo femenino, abriendo una brecha abismal frente a los cuerpos masculinos, heterosexuales y blancos. Fue la conquista de los materiales, pero también de lxs indixs, que trabajaban en las minas, en las plantaciones y en las casas, que bañaban a lxs niñxs, cocinaban, construían casas y calles. Fue una toma brutal de los bienes de un universo subsumido en la acumulación primitiva (Creischer, Hinderer, Siekmann, 2010: 235), en el capitalismo estatal, que desemboca en el extractivismo contemporáneo y hace mella en la comprensión de tierra, paisaje y territorio. Materiales, elementos, átomos fueron recibiendo valores subjetivos, en forma no solo de lazo emocional, sino también de elementos visuales. Lxs indixs veían el rostro de la Virgen María incrustado en la Montaña, fusionado, atrapado. La transacción de valores de lo económico (monedas de plata que viajaban a Europa) a lo religioso (imágenes de la Biblia que realizan su expansión por toda América) y lo visual (la identificación de la Virgen que se aparece en distintos lugares y objetos) produjo una existencia multifacética y de muchas capas. ¡Ohh, los descubrimientos!

EN EL VIDEO DE GALINDO, AMÉRICA RENIEGA DEL NOMBRE QUE LE FUE IMPUESTO, QUE ENGLOBA A UNA VASTEDAD DE TIERRAS Y PUEBLOS (HUMANOS, ANIMALES, VEGETALES Y MINERALES). ¿SERÁ QUE UN CONTINENTE PUEDE OLVIDAR QUIÉN ES? ASÍ COMO MILES DE CUERPOS FEMENINOS FUERON RELEGADOS EN LA HISTORIA.

¡Ohh, el presente!

Regreso a Ave María llena eres de rebeldía. Además del grafiti relacionado con la pintura, Mujeres Creando produjo tres cortometrajes: América, Virgen Cerro y Virgen Barbie. El primero muestra el rostro de una mujer (una actriz) incrustado en un mapa de América de algunos metros de alto. En

158

un breve discurso político-teatral, la alegoría femenina desconoce adrede su territorialización y desbanca toda posibilidad de narrativa tradicional. En las caricaturas de periódicos europeos del siglo XIX, las grandes potencias se repartían los territorios conquistados. Europa, América, África y Asia se representaban alegóricamente con cuerpos femeninos, listas para ser conquistadas (en la práctica, los cuerpos femeninos eran borrados de la vida pública y activa de la política y se los despojaba de toda decisión real sobre sus existencias). Cuerpos femeninos imaginados igual que los territorios representados en cartografías, que los continentes deformados por la escasez de información en los tiempos de los “descubrimientos”. Esos territorios deformes eran también los de los cuerpos de las mujeres, que al ser cartografiados podían instrumentalizarse para la construcción de las naciones y sus identidades. Ese es el relato que desconoce la América de América. El rango de acción de las mujeres se relegaba a lo privado, a la casa, a la menstruación, a la maternidad. (Wenk, 2006: 114)

Durante la Revolución Francesa, el cuerpo del rey era reemplazado por el de una mujer. Era la forma de resaltar las ideas de una nueva sociedad burguesa, contraria a la presencia deificada del monarca en el territorio. El rey era la Tierra y ahora la Tierra era femenina, pero utilizada. La teórica feminista Silke Wenk señala que, a lo largo de la historia, y sobre todo en las imágenes producidas en tiempos de conflicto, la verdadera feminidad se entiende como algo frágil que debe ser protegido. (Wenk, 2006: 116) Esta conexión entre Naturaleza y cuerpo femenino determina que, también en la “guerra” por la ecología, se debe proteger la Naturaleza porque ella no tiene esa capacidad. En el video de Galindo, América reniega del nombre que le fue impuesto, que engloba a una vastedad de tierras y pueblos (humanos, animales, vegetales y minerales). ¿Será que un continente puede olvidar quién es? Así como miles de cuerpos femeninos fueron relegados en la historia. La memoria es también aquello que nos sitúa y nos da campo de acción, pero si ese campo de acción desaparece con la tierra, la memoria se evapora en un silencio vacío como agujero de socavón.

mDesde esa versión de Naturaleza se cosifica también a las mujeres, ya que se habilita la posibilidad de comprender sus cuerpos como territorio conquistable, con derecho a la privatización, al uso y a la violación. Y ese territorio se entremezcla con el cuerpo femenino, abriendo una brecha abismal frente a los cuerpos masculinos, heterosexuales y blancos

159

Virgen Cerro es el registro audiovisual de una acción urbana en la que la reproducción de la famosa pintura “sale” del museo a las calles del Mercado Rodríguez de La Paz. La copia, pegada a placas de trupán, tiene protuberancias que permiten escalarla, así como agujeros y altorrelieves que reinterpretan por completo la composición del cuadro, sin alterar sus componentes. Instalada la copia en la calle, un cuerpo femenino se asoma por el agujero en el que originalmente estaba el rostro de la virgen. Las manos de la performer reemplazan las de la pintura. El cuerpo se mueve por detrás del cuadro y, como si se tratara de la Montaña dándose a luz a sí misma, la Virgen Cerro sale del cuadro y deambula por la calle, donde interactúa con niñxs curiosxs que se suman a la acción, toma las coronas de los reyes católicos y las deposita en las cabezas sonrientes de las vendedoras del Mercado Rodríguez; caen al piso, rotas, las columnas del escudo español, sobre las que se erigieron todas las narrativas de y sobre la Colonia, y que se reimaginaron en las acciones racistas de noviembre de 2019. Mientras, el cuerpo liberado de María comienza a desnudar a sacerdotes, al Papa, a toda figura jerárquica que aparece en la pintura; reemplaza al Espíritu Santo por la Luna y el Sol. Desde las profundidades de la Montaña, una mulata acompaña a esta María y juntas le cortan la cabeza al rey con un serrucho. La acción concluye con la reescritura de la leyenda al pie de la pintura. Ahora dice: “Soberanía para mi país, para el cuerpo”.

La propia Galindo graba la acción y edita el video. La pieza traduce a los códigos del espacio del Mercado no solo la situación de la pintura y sus significados, sino también el cuerpo amorfo del museo, que la calle poco entiende y digiere y con el que definitivamente no se identifica. El lugar de la pintura en la gestación del Estado queda desplazado. Ahora está en el lugar central que merece. No las paredes blancas de la casa de uno de los patriarcas de la etapa final de la Colonia (hoy Museo Nacional de Arte), sino la calle, que es donde se expresan mejor los abigarramientos propios de nuestra cultura.

En Virgen Barbie, Galindo le confiere al cuerpo de la Virgen una voz alterna. Es la misma Virgen Blanca de los altares y retablos, la Virgen colonizadora, ahora Otra, diferente y contestataria. En la acción, un camión transporta a la Virgen del Racismo, interpretada por Dagmar Duchén, junto a un grupo de “devotas” (Yolanda Mamani, Gaby Mamani, Victoria Mamani, Emiliana Quispe, Rosa Apaza, Dominga Mamani, Julieta Ojeda, Liz Pérez y Sonia Flores). La escena hace mucho recuerdo a la procesión de la “Virgencita” que, en Cuestión de Fe (1995), la película de Marcos Loayza, desfilaba por los paisajes desde las alturas paceñas y alteñas hasta los Yungas. Una vez el camión arriba al Mirador de Killi Killi, espacio urbano y el más mirador de los miradores paceños, las mujeres bajan a la Virgen de carne y hueso del mo -

160

LA VIRGEN EXTRAE AGUA PURA DE LAS PROFUNDIDADES DE SUS VESTIMENTAS-SOCAVONES Y LAVA LOS PIES DE LAS PRESENTES, BORRA VIEJOS RASTROS, GRAFITIS CORPORALES, COMO SI LAS PIERNAS Y LOS BRAZOS FUERAN LOS MUROS QUE TANTO LES PREOCUPAN A LXS CONSERVADORXS DEL PATRIMONIO CUANDO LAS COLECTIVAS FEMINISTAS EN SU PLURALIDAD SE ABREN PASO EN EL ESPACIO PÚBLICO PARA DENOSTAR LOS TRADICIONALES VALORES DEL MACHISMO.

torizado y la llevan a su nuevo altar, antiguo espacio sagrado prehispánico, apacheta y wak’a 40 , sustituido en la Colonia por otros órdenes espaciales, pero que no por eso pierde su impronta original ni sus contenidos. No en vano es el sitio escogido para esta reestructuración de la Virgen.

Puesta en su nuevo sitial, la Virgen comienza a hablar, a amplificar su presencia y a desestabilizar el sentido ontológico y existencial que la colocaba inmóvil en el nacimiento de Cristo, inmóvil llorando a sus pies en la cruz e inmóvil en las Iglesias. Podía sangrar por los ojos, pero nunca dar a entender sus versiones, su propio Evangelio, su palabra independiente. Pues ahora sí que tiene algo que decir. Envuelta en telas, pendientes de muñeca Barbie y otros artefactos cosmopolitas, abandona los roles y mandatos inducidos, abandona su cuerpo-carne casi Montaña, casi cono, y emerge de las profundidades de su vestimenta, hecha de sábanas con dibujitos de princesas Disney41. Surge de la base, dolida y dañada, envuelta en vendas.

Comienza a interactuar con las mujeres presentes y algunxs niñxs, que también en este caso se han sumado a la acción. “Niño, te regalo el mundo”,

40 Espacio sagrado que antes de la Colonia tenía gran importancia ritual e incluso en el ordenamiento del territorio. Con la Colonia, la mayor parte de las wak’as fueron resignificadas. En algunos casos, se colocaron cruces o se edificaron iglesias encima de ellas o en sus cercanías. Se ha planteado un debate sobre la existencia de una wak’a bajo la basílica de San Francisco, en La Paz, lugar considerado hoy epítome del cruce, tantas veces violento, entre culturas originarias y la cultura de lxs colonizadorxs.

41 Entre 2017 y 2019, Disney completa la compra de múltiples empresas y lanza Disney+, que incluye franquicias como Pixar, Marvel, Lucasfilm y National Geographic, así como un conglomerado paralelo llamado StarPlus, integrado por ESPN, FX y FOX, entre otros. Así, Disney se ha posicionado como el más grande de los productores y distribuidores de imágenes del mundo.

161

le dice a uno y le lanza el globo terráqueo, que en las manos de este es una pelota que rebota interminable por el espacio público. La Virgen extrae agua pura de las profundidades de sus vestimentas-socavones y lava los pies de las presentes, borra viejos rastros, grafitis corporales, como si las piernas y los brazos fueran los muros que tanto les preocupan a lxs conservadorxs del patrimonio cuando las colectivas feministas en su pluralidad se abren paso en el espacio público para denostar los tradicionales valores del machismo. Y de esos cuerpos se borran consignas con las que habían vivido las mujeres. La acción es simbólica en plenitud. Las presentes tocan instrumentos de percusión y ayudan a esta otra María a vestirse igual que sus pares: la pollera y sus capas, las mantas, el sombrero de chola que años después José Ballivián reinterpretaría en el video Procesión (2015).

Las dos acciones se encuentran en oposición absoluta a esa figura femenina que la Colonia inserta en un círculo de poder que, de alguna forma, asegura la permanencia de la mujer en su posición de ama de casa. Pero también implica la proyección de las mujeres como bienes, como objetos, como la misma naturaleza, situación que sigue hoy sin ser deconstruida (Álvarez Plata en Creischer, Hinderer y Siekmann, 2010: 2142).

Transacción de bienes, de corrientes de pensamiento, de ideologías desde el interior de una pintura hacia la realidad y de regreso. Eso es exactamente lo que la Montaña era y es: una transacción entre dos sistemas de existencia. Transacciones entre las Marías de las pinturas y esculturas coloniales y estas Marías liberadas y desatadas, lanzadas a la realidad como prismas que desvían la luz y la mirada, que se abren paso en un tejido al que históricamente no tenían acceso. Entre cuadro, montaña, Marías y Pachamama hay una relación de transacciones de naturalezas y políticas. Las naturalezas de la Montaña y sus efectos en el paisaje “natural”, y el gran bagaje de valores políticos que conlleva. “El orden natural es a veces usado para criticar el orden social, y el humano es a veces usado para criticar el natural; la gente puede incluso buscar ponerle fin a la conexión entre ambos. Sin embargo, nadie puede reclamar bajo ninguna circunstancia el estar lidiando con dos distintas preocupaciones que siempre evolucionaron en paralelo hasta que, finalmente, cruzaron caminos treinta o cuarenta años atrás. [...] Nunca ha habido ninguna política que no sea la política de la naturaleza, y nunca ha existido una naturaleza más que la naturaleza de la política.” (Latour, 2004: 58)

42 Sobre las Postrimerías de Caquiaviri es la transcripción de una entrevista de 2009 a María Isabel Álvarez Plata que aparece en el catálogo de la exposición de Principio Potosí.

162

Querría que la montaña y su doble, el Cerro, me permitieran hablar sobre naturaleza, sobre naturalezas naturales y otras naturalezas políticas, sobre ciencias sociales y sobre la vida de los mineros desde un camino común, y reescribir distintas historias al mismo tiempo: la de los materiales, la de lxs indixs, la de los mineros, la de las mujeres y, tal vez, la mía propia.

La extirpación de idolatrías fue crucial para crear una forma híbrida y abigarrada de cultura y religión, que hasta el día de hoy mantiene vivos ambos sistemas de creencias. El texto Extirpación de la Idolatría del Perú fue publicado en 1620, en Lima, por el clérigo español José de Arriaga. Como consecuencia del Concilio de Trento, cuyos efectos se sintieron no solo en Europa, la extirpación de idolatrías tuvo un impacto profundo en la manera en que se practicaría la religión en América Latina. Luego del Tercer Concilio de Lima, la creación de imágenes e ídolos fue expulsada del Jardín de las Creaciones (así publicado en el libro de Arriaga). Con la intención de controlar la producción de imágenes, se diseñó un elaborado aparato que incluía viajes de visitadores o comisarios iconoclastas a las distintas regiones para observar las usanzas, modos de vida y prácticas de distintos saberes; pero también para prevenir (mediante la extorsión y la tortura como métodos) toda mitología o idolatría. Pese a estos estrictos métodos de control, un gran número de expresiones perduraron en pinturas, esculturas y arquitecturas en la totalidad del territorio andino, proceso que Alice Creischer denomina “represión tolerante” (Creischer, Hinderer y Siekmann, 2010: 60) 43 .

Un fragmento de Principio Potosí describe las acciones de José de Arriaga en contra del vínculo inmaterial que lxs habitantes de Potosí tenían con la Montaña:

“En una carta de 1599 dirigida al Padre general de la orden jesuita, Aquaviva, el padre José de Arriaga describe la adoración de la población indígena por dos montañas que identifica como Cerro de Potosí y Huayna Potosí. Para impedir la herejía el padre Arriaga mandó construir un muro alrededor del Cerro de Potosí, que, sin embargo, se derrumbó poco después de su construcción; los indios interpretaron este accidente como una confirmación de que el poder de sus deidades seguía intacto. Arriaga, por su parte, explicó que la caída del muro se había debido a su deficiente estructura, dado que se había construido apresuradamente.” (Creischer, Hinderer y Siekmann, 2010: 52).

43 “...la tolerancia que sucede dentro de una hegemonía definida por la exterminación de lo que no puede incluir. Esta tolerancia permite representar a los ángeles como dioses del rayo, pero no permite celebrar ceremonias en honor de Illapa. Sin embargo, este modelo de Inquisición y tolerancia represiva no es universal, ya que no tiene en cuenta el simple hecho de que una producción sucede a pesar de la prohibición.”

163

Esta transferencia mental y espiritual le da a la Montaña un segundo yo. Abandona la imagen de la Virgen única (una divinidad), para pasar a representar a un grupo de mujeres de carne y hueso. La Montaña queda atada al destino de las figuras femeninas en una historia contada por sujetos masculinos. Alimentar a Potosí y a la Corona con plata puede ser fácilmente comparado con el rol de una devota y sacrificada madre (palabra que a tantxs católicxs les gusta escuchar). Toda la anécdota y el concepto de la aparición me llevaría, el año 2017, a plantear una suerte de re-enactment como parte de mi proyecto On Minding Matters. El video El muro de Arriaga abría esa posibilidad de interpretación de la anécdota recogida por Max Hinderer. Muros que se fisuran y quebrantan, disputables como la Ciencia y la versión imperante de Naturaleza, que debe replantearse si se quiere romper con su pasividad, con la idea de que debe ser salvada como una damisela de Hollywood en peligro.

EN MI IMAGINACIÓN, ARRIAGA VOLVÍA A LEVANTAR UNA SECCIÓN DE ESE MURO, Y NUEVAMENTE, DESDE LAS GRIETAS DE LA RESISTENCIA CULTURAL Y EL PODER DE LAS DEIDADES, LA MONTAÑA, HACIÉNDOSE

CUERPO EN LOS BRAZOS DE UN ALBAÑIL, ABRÍA UNA NUEVA GRIETA QUE PERMITÍA VISUALIZARLA TAL COMO SE LA VISUALIZABA EN CIERTO MOMENTO DE LA HISTORIA. SE PLANTEABA ASÍ QUE LOS MODELOS DE EXTRACCIÓN EN EL CERRO RICO NO HAN TERMINADO DE DESMANTELARSE, QUE MONTAÑA Y CERRO CONVIVEN EN UN MISMO CUERPO (COMO LOS PROPIOS MUROS), AMBXS SUSTRAÍDXS DE SUS ENTRAÑAS

En el video se ve cómo poco a poco una picota y una punta operadas por un albañil sobre un muro de ladrillo y estuco van dejando aparecer gradualmente la imagen del Cerro Rico de Potosí. Una vez que un agujero similar a una cruz se configura en el plano audiovisual, se comienza un contra-relato, donde se ve la erección del muro, ahora acelerada. El muro que tapia la imagen del Cerro es el mismo que luego enmarca la Montaña. El muro finalmente es abandonado y se donan los ladrillos a lxs vecinxs de la zona de intervención, un barrio alejado de la ciudad de Potosí. En la exposición en el MNA, el muro se proyectaba sobre otro, también de ladrillo y estuco. De esta forma se duplicaban las materialidades, los relatos y los cuerpos en un mismo tiempo-espacio. En mi imaginación, Arriaga volvía a levantar una sección de ese muro, y nuevamente, desde las grietas de la resistencia cultural y el poder de las deidades, la Montaña, haciéndose cuerpo en los brazos de un albañil, abría una nueva grieta que permitía visualizarla tal como se la visualizaba en cierto momento de la historia. Se planteaba así que los modelos de extracción en el Cerro Rico no han terminado de desmantelarse, que Montaña y Cerro conviven en un mismo cuerpo (como los propios muros), ambxs sustraídxs de sus entrañas, hechxs cuerpo en diferentes ámbitos, tan cerro y tan montaña como los mismos seres humanos, que son tan femeninos como masculinos en la medida en que sean conscientes de esas pulsaciones.

164

SANTIAGO CONTRERAS SOUX

El mUro dE arriaga (2017), video HD, 4’ 30’’, color, sonido; muro de ladrillo, dibujo

JOSÉ BALLIVIÁN ProcESión (2015), video HD, 3’ 21’’, color, sonido

Un Principito para los Andes y un taxi para el futuro de las montañas

El 10 de octubre de 2020, en la página de Facebook de El Sinche Noticias, de Huancavelica, Perú, se publica un video en el que se ve a unas cincuenta personas jalando de sogas en un terreno en alta pendiente. Se oye el grito ensordecedor de esa gente que se raspa las manos jalando, tirando y jalando de nuevo. Al ritmo del esfuerzo se desprenden ecos del valle perdido de una sierra que tanto le ha sufrido al Sendero Luminoso y al terrorismo estatal, como si de siglos de voces sometidas al poder limeño se tratara. Aparece de la nada el motivo de tanta puja. Es la viva imagen de esa modernidad que hace con el paisaje lo que quiere y deshace lo que necesita. Las cuerdas jalan los restos de un camión de alto tonelaje que se ha embarrancado, se tensan alrededor de un objeto cargado de fatalidad. Jalan los desechos de la modernidad, los sueños perdidos de una zona no considerada por los gobiernos peruanos. Al ritmo musical de los jadeos, el bólido va trepando de retro el cerro, como regresando en el tiempo. Como volviendo al incario, se escuchan voces quechuas de apoyo, los gritos de una colectividad corporal. Subir la montaña, así de heroicamente, es tan parecido a la imagen de Fitzcarraldo, a quien siempre regreso44 , y a la obra cinematográfica de Herzog, embarcado en un round eterno con la naturaleza y sus inclemencias, con el paisaje y su gobierno sin fin. La poética de este video amateur está en la transacción espacio-temporal: regresar el camión a la ruta es regresarlo a su origen, tal vez su lugar original en el tiempo y en la narrativa oficial del progreso. O tal vez solo constituya un estanco en el tiempo.

El preámbulo es suficiente para pensar en un tiempo contemporáneo, no cronológico, en el que imagino a José Ballivián y el siguiente relato, recogido de anónimas crónicas inéditas. Lo encuentran a José uno de esos días abrumadores en los que no se podía saber si era el José videasta o el José dibujante habitado en las páginas de un libro.

44 Me refiero a mi libro 5458, en el que reinterpreto la figura de Fitzcarraldo para un performance realizado en las afueras de La Paz. El objetivo era ver de qué manera un libro de artista dibujado podía ser el registro de un performance.

167

Un día, cuenta la anécdota, estancados en el tiempo nos encontramos. Y ahí, en esos segundos-minutos (¿o minutos-segundos?), un sombrero de chola se hace montaña, se funde con el cielo, con el paisaje, y solo por unos segundos (¿o eran minutos, o eran horas?), el tejido que hace al sombrero, en esos primeros senderos que Procesión nos hace andar, ahí, congelados, se deshilacha. Y nos encontramos, de nuevo, no con José, sino con su mirada aguda sobre los temas que lo comprometen. Procesión (2015) abre con la imagen de una chola que observa el paisaje y luego depone su sombrero tradicional y lo cambia por una gorra Nike. Acto seguido comienza a empujar un viejo taxi Toyota Corolla, sobre el que descansa un hombre de terno. El auto se va desplazando con la imagen de fondo de la Cordillera Real, hasta desaparecer por la derecha. Dice también que por ese entonces surge en los Andes un Principito muy parecido al francés, pero animado por otros sentidos, que se desdobla del libro de Antoine de Saint-Exupéry y se lanza indomable a las empolvadas tierras del altiplano. Ese Principito, peculiar y rebelde, carga con el deseo del paisaje de desromantizar ya no el Land Art, como proponía Francis Alÿs en su acción Cuando la fe mueve Montañas, sino el altiplano. Quiero poder imaginar a Sísifo arrastrando la roca. Quiero poder visualizar a la Chola que ha mutado en un Sísifo contemporáneo y empuja un taxi. Y ahí, a cientos de kilómetros, la comunidad arrastrando un camión enorme, como lo hace la Sísifo actual. También puedo ver en el medio a un Principito andino con un camión forrado de yute plástico impermeable. Y quiero poder imaginar el barco arrastrado de Fitzcarraldo, hermano de los camiones y el taxi, en la selva peruana, en abierto desafío a las convenciones náuticas, que defienden la noción de que los barcos navegan aguas en vez de escalar cerros. En una serie de nuevos dibujos y objetos, el sombrero de chola intervenido, retocado y deformado de Ballivián entabla un diálogo en torno a la construcción contemporánea de la nación boliviana: aborda sus conflictos y complejidades, resultado del choque de las corrientes globalizadas desde el norte o en resistencia desde el sur local. Amalgamas tan profundas como la Pachamama y los socavones de Interior mina, y tan actuales como los malls abiertos recientemente en pleno centro de El Alto.

La cultura popular es una construcción compleja, inexplicable. Un mundo global con Nike, Coca Cola y Mickey Mouse como posibles embajadorxs se ve alimentado por imágenes de nación que, como en la obra de Alcides

168 (Dice que)

Arriba y páginas 170 y 173-176: RIVER CLAURE warawar wawa (2020), fotolibro

170

Un mundo global con Nike, Coca Cola y Mickey Mouse como posibles embajadorxs se ve alimentado por imágenes de nación que, como en la obra de Alcides Arguedas, contemplan la representación de lx indix en términos de pasividad y sometimiento. Esto se acentúa con la idea de que lxs indixs debían permanecer alejadxs de las ciudades, algo que en la actualidad se refuta con la amalgama de la migración del “interior” y la ciudad contemporánea y glocal, manifiesta en Compañía, de Hilari.

Arguedas, contemplan la representación de lx indix en términos de pasividad y sometimiento. Esto se acentúa con la idea de que lxs indixs debían permanecer alejadxs de las ciudades, algo que en la actualidad se refuta con la amalgama de la migración del “interior” y la ciudad contemporánea y glocal, manifiesta en Compañía, de Hilari. En su obra, Ballivián explora este contacto profundamente mezclado de identidades en apariencia contrarias, donde lo último que sucede es la quietud de lo originario y la negación de occidente. Ambos se mezclan de manera irreversible.

El video parece apuntar al deseo de intercambiar roles no en términos de género, sino entre el cuerpo humano y el de un objeto inanimado que se mueve, como las dunas de Alÿs en Lima, poco a poco, como si el tiempo mismo, mediante el esfuerzo físico, se pudiera descongelar. El sombrero borsalino de la chola paceña, herencia foránea mestizada, abigarrada, mescolanza llena de grises e historias de superación, frustración y progreso, es intercambiado por una gorra Nike, tesoro “infame” de la Bolivia glocal, constituida en los años noventa neoliberales y profundizada con la bonanza de la segunda década del siglo XXI. Empero, es una Bolivia pensada desde el pasado. En esta escena, nadie responde a los mandatos de la alta burguesía blanca: el hombre no es fuerte y es el sujeto objetivado, la chola es una wonder woman que rompe con el contrato social de servidumbre y empuja el automóvil que, en el momento de escapar de la escena, se vuelve el centro de atención y le reclama a Ballivián: “Yo quiero mi autonomía, yo me rebelo, yo reniego del arte”. Como la roca de Sísifo, parecería que va a ser empujado por una Eternidad en los Andes45 . Como si arrastrando ese automóvil inmóvil (el motor sin funcionar), lo estático del sujeto masculino y del objeto-taxi pudieran revertirse.

45 En referencia a la autobiografía de Marina Núñez del Prado, la más notable escultora boliviana.

171
y U

wawa (“hijo de las estrellas” en aymara) es el título de un fotolibro, un trabajo de traducción al aymara (a cargo de Ruben Hilari y Martin Canaviri) y un proyecto de arte de River Claure que parte de la fotografía para re-componer e interpretar El Principito, de Saint-Exupéry, relocalizado en el altiplano. En su secuencia, las imágenes del libro conectan diferentes construcciones y personajes que emanan del texto con dibujos originales de yatiris46 , waka wakas47, tantawawas48 , aparapitas49 y otrxs viejxs caminantes de los paisajes andinos. La obra se permite así reconstruir muchas cosas al mismo tiempo, y lo ch’ixi50 da lugar a un desarme de cualidades: al desligar el paisaje natural y cultural de las expectativas de consumo que las industrias del turismo y del patrimonio cultural le han impuesto como sitio estático en términos conceptuales y como signo de estándares perceptivos, se habilita un paisaje en la alteridad de sus propias consignas, lo que permite que, entre grietas e intersticios, permeen otros contenidos y personajes.

Tres imágenes del libro me llaman profundamente la atención. La primera es una tantawawa en forma de avión, quebrada y fotografiada sobre el Salar de Uyuni. La segunda es una foto de un viejo camión parcialmente cubierto por un tejido hecho de yutes de mercado. La última es una versión fotográfica del célebre cuadro barroco de la Virgen Cerro en medio del altiplano.

La tantawawa en forma de avión es por un lado una referencia al avión encallado en las dunas del desierto que transportaba al piloto de guerra Saint-Exupéry. En la imagen de Claure, el avión es de pan horneado y cayó sobre uno de los yacimientos de litio más importantes del planeta. La promesa gubernamental de extraer ese litio, sin embargo, aparece truncada, el horneado se rompe al caer al suelo.

46 En el occidente de Bolivia, autoridad de las comunidades aymaras que posee la capacidad de leer las hojas de coca, realizar rituales de sanación y limpias (rituales de limpieza espiritual) de personas y hogares. Se dice que para convertirse en yatiri, la persona debe haber sobrevivido el impacto de un rayo. Este fenómeno natural representa al dios Illapa.

47 Danza andina que surgió de la relación colonial entre indixs y españolxs. Lxs danzantes se disfrazan de toros.

48 Pan en forma de bebé arropado, con el rostro de yeso pintado, que se prepara para la celebración de Todos los Santos. Son habituales también los horneados en forma de caballo o escalera.

49 Personaje esencialmente urbano de La Paz y El Alto. Vive cerca de los mercados y carga para sus clientes todo tipo de productos (electrodomésticos, frutas y vegetales, etc.). Sus herramientas de trabajo son la soga y el manteo. Es famosa la caracterización que hizo Jaime Sáenz del aparapita en su novela Felipe Delgado (1979) y en los relatos de Imágenes paceñas (1979).

50 En su trabajo de sociología de la imagen pensada desde lo aymara, Silvia Rivera Cusicanqui ha elaborado gran cantidad de conceptos que permiten reordenar preceptos tradicionales de lo boliviano. Para Claure, el pensamiento de Rivera ha sido fundamental en la concepción de su libro.

172 Warawar

Es una referencia, además, a la tantawawa como bendición a lxs muertxs, a lo que se ha extinguido y se quiere hacer regresar. ¿Es el paisaje el que ha muerto? ¿Es la crónica de una muerte anunciada? Ese avión caído es síntoma de la confrontación cultural entre una modernidad heredada, con aviones, metales y desarrollo tecnológico, y una modernidad otra que se aglomera en torno a las mágicas posibilidades de revertir la muerte, inherentes a la celebración de Todos los Santos, lugar cultural de donde emana el horneado.

8 tazas de harina blanca no caucásica

2 cucharadas de levadura granulada (seco) que haga levantar vuelo al avión del progreso

5 cucharas soperas de azúcar / anhelos utópicos en el aire

1 cuchara al ras de sal de la planta de extracción de litio en el Salar de Uyuni

¼ libra de mantequilla / engrasado de maquinarias / abrazo sustractivo de afectos gastados

2 huevos caídos de pantalón de violador de paisajes

1 taza de leche de verga dura lista para socavones

1 litro de agua tibia / sabio desagüe en cascadas escapando de Uyuni

Por más que en la narrativa de Warawar wawa no haya una construcción abiertamente preocupada por el extractivismo minero, sí hay una preocu-

176

pación por el consumo y la extracción de imágenes, por la construcción de un imaginario precoz de lo que debería ser cohabitar un territorio. Así, el camión que remite a la imagen del elefante tragado por la boa y en la que lxs adultxs solo ven un sombrero. Un camión sin pretensiones, defectuoso, como la tecnología que puebla los caminos del altiplano, camión envejecido, sueños alterados. Acá la boa no llega a ser boa realmente, no pretende serlo y no intensifica su simulacro. Más bien evidencia lo que ha pretendido comer y no ha podido, que debería permanecer en la imaginación de lxs niñxs y que lxs adultxs ya no logran descifrar. Aparecen semicubiertos en el altiplano un camioncito-boa que ha devorado un elefante (si fuera blanco bien podría ser el Museo Ególatra de Orinoca51), un camión que se estrella en los valles peruanos, un taxi que se deja arrastrar e, incluso, las carreteras doble vía y el desarrollismo estatal. Vehículos insertos en una meta-ficción, multiverso o como se lo quiera ver: producción de imágenes que una vez más irrumpen en el altiplano con agencias dispares.

La última imagen es una versión alternativa de la Virgen Cerro. La modelo se encuentra literalmente dentro de la tierra, lo que le da a toda la producción un evidente sentido performático. La pintura anónima de la Virgen Cerro es parte de la historia oficial del arte colonial andino, pero también ha sabido insertarse en una paralela que ya no pertenece tanto al arte como a la noción de que el Cerro, y las montañas en general, siguen exhalando una vida que poco a poco van perdiendo.

Revisar lo colonial y reescribirlo es una práctica urgente. La versión de Claure repone la atención sobre lo maternal-montaña, lo maternal-Príncipe, y abre la posibilidad de repensar vientres, socavones, Tíos y muchxs otrxs personajes, deidades y entidades escondidxs en la imagen alternativa del Cerro, ficción tejida en el anverso y reverso de sus mitologías. Se trata de igual modo de una construcción alterna, plagada de los deseos de un gran colectivo por repensar asuntos y verdades que se supone están ya confirmadxs en el imaginario, matters of fact (de nuevo Latour) de que el Cerro es y será siempre un lugar de extracción, que siempre habrá mineral en el cerro y mineros trabajando.

51 Tras una inversión millonaria, el 2017 se inaugura el Museo de la Revolución Democrática Cultural de Orinoca, pueblo de donde es oriundo el expresidente Evo Morales. La promesa es llevar turismo a esa región del departamento de Oruro. Para el golpe de Estado de noviembre de 2019, el museo llevaba meses de escasa afluencia de visitantes. La sección dedicada a Morales ha sido la más atacada, por tener como único objetivo profundizar la narrativa del caudillo endiosado y enviado por lxs próceres indixs de la independencia boliviana. El camión cubierto sirve de metáfora para esa construcción, tan estigmatizada en tiempos del gobierno transitorio de Áñez y durante la pandemia. Se llegó a sugerir que se la convirtiera en hospital y hasta en cuartel de las Fuerzas Armadas.

177

Los restos de la ruina

¿Cómo explicarle lo que es el Tío a un antropólogo preocupado por lo material en el socavón de una mina en Potosí? Dijeron que alguna vez, en una línea de tiempo alternativa, pasó desdoblado por acá Bruno Latour. Eso le dijeron a Juan Callizaya y él a Anuar Elías y todo quedó recogido en notas de campo encontradas en una excavación arqueológica a 3000 años de distancia. ¿El tiempo es un recorrido en kilómetros? ¿Realmente comprendemos los años luz? Escribir sobre paisaje en Bolivia tiene una directa relación con la construcción de un territorio que abarca desde la organización de la tierra y su distribución hasta un largo y vasto hemisferio de creencias que le confieren agencia a montañas, lagos, ríos, bosques y praderas. Escribir sobre paisaje implica reflexionar sobre Europa y, por lo tanto, sobre la Colonia y la manera en que imaginamos, consumimos y pensamos las imágenes. Montañas, montañas, montañas. Seres imaginarios, dobles de acción, objetos mágicos y “enmagificados”52 , sabores trágicos de aletas doradas de Delfín Rosado en extinción. Ríos paceños que corren brutales, encauzados por humanxs que añoran controlar la naturaleza. Otros seres objetuales, fronteras, tráfico de sustancias y maquinarias, todxs amenazadxs por las grandes faenas de la humanidad, mientras el paisaje se consume en añoranza de tiempos mejores y lugares distantes, donde el rigor de la forma ya no sea cuestionado. A Latour le interesa la otra historia. Camina como un turista más a orillas de un glaciar enfermo cerca del Huayna Potosí. Desdoblado, viaja en el tiempo, cree que puede y aparece en dibujos de Melchor María Mercado y de Guamán Poma53 . Desfigurado, convertido en Tío, asimilando minerales y ofrendas, comprende eso que no logra habitar en los árboles. Asimilado en la tierra, preso de los designios de un grupo de mineros, piensa de nuevo en el lugar que tiene la naturaleza en la religión, en la relación de dios con lo natural, en la posibilidad de extender la lucha política a lxs no humanxs (Latour, 18-2-2013).

52 Un elemento puede saltar la barrera planteada por la Ciencia y pasar de objeto estático e inanimado a uno activado por sentidos espirituales y animistas.

53 Los dibujos de Guamán Poma han permitido develar diversos aspectos de lo sucedido en el período de la conquista y en la temprana evangelización. Pienso que también permiten entender algunas características centrales de los conflictos y complejidades de la actualidad boliviana.

178

FELIPE GUAMÁN POMA DE AYALA

El PrimEr nUEva corónica y BUEn goBiErno (ca. 1615), manuscrito, Biblioteca Real de Copenhague. Copia digital del original intervenida por Santiago Contreras Soux

Arriba: EL COREG[ID]OR I P[ADR]E, TINIENte anda rrondando y mirando la güergüenza de las mujeres (p. 503) / Bruno Latour es testigo de hechos traumáticos, inicio de rebelión

Abajo: Coreg[id]dor afrenta al alcalde hordenario por dos güebos que no le da mitayo (p. 499) / Pancarta publicitaria de la campaña de Latour para alcalde

179

Arriba:

Coreg[id]or i comendero tienen pendencia sobre los rreales, quién a de lleuar más (p. 491) / Los números no cierran y Latour observa el declive de la plata

Abajo: Coregidor de minas: Cómo lo castiga crvelmente a los caciques prencipales los corregidores y jueses con poco temor de la justicia con deferentes castigos cin tener misericordia por Dios a los pobres (p. 525) / Bruno Latour enterrado con la cabeza afuera, junto a torturadxs

180

Hay una escena de Aguirre la Ira de Dios, de Herzog, en la que Klaus Kinski, en el papel de Aguirre, delira en medio de uno de esos gigantescos ríos de la Amazonía. La búsqueda de El Dorado falló, y en medio de la barca, mientras la cámara da vueltas como difuminando el tiempo, está el español (el alemán) en sus delirios. A su alrededor, los cascos metálicos se hunden. Siento en lo más profundo que los cascos que Juan Fabbri presenta en una de las piezas de la exposición “Cidios” bien puede haber salido de la ficción de Herzog. La obra reciente de Fabbri establece una relación entre lx artista investigador y el dispositivo de exhibición. Sigue los métodos de la observación antropológica, pero además del involucramiento técnico de la ciencia social, hay otro afectivo e ideológico que el resto de la muestra permite entrever. La búsqueda pasa por la representación, pero da el paso siguiente, que es la posibilidad de que el sujeto investigado se emancipe de la obra y de lx artista.

La pieza se llama Cimientos y refiere a la construcción colonial de nuestrxs pensamientos, costumbres e historias comunes. En una columna de sala, a la altura promedio de la mirada de lx espectadorx, la estructura metálica revestida de yeso es sustituida por una pecera con dos cascos de soldados de la Colonia sumergidos. El agua se enturbia por reacción al óxido que los cascos desprenden, y la iluminación cenital remarca la turbiedad. El dispositivo se replica parcialmente en una segunda columna dividida en dos. En lugar de pecera, hay un solo casco apoyado sobre la parte inferior de la columna. La exposición se completa con objetos, textos, videos de archivo, videos hechos en lugares visitados durante la investigación, entrevistas y una escultura consistente en flechas de indixs incrustadas en una media esfera. Imagino cascos que se rebelan contra la historia, una que libró batallas de sentido contra otros miles de cascos que en la Colonia grabaron a sangre su impacto sobre las muchas herencias y linajes familiares de los pueblos originarios. Imagino estos nuevos cascos activando deconstrucciones moleculares (imposibles de certificar científicamente) para constituirse en contra-relatos de los primeros años de la Colonia. Desintegración que parece una estrategia fallida, ya que en el tiempo de la exposición el hierro no se descompone. Pero la empresa se continúa en las metáforas de un tiempo que excede la pieza, y cuyas reacciones químicas (las del tiempo) evaden los testimonios coloniales de tortura contra lxs indixs que se negaban a la fe, la religión y las nuevas costumbres. Ese casco es símbolo de muchas y diversas opresiones físicas y emocionales que se graban en el metal, que se imprimen generación tras generación en el agua turbia de los ríos del Amazonas. Me permito creer en una ficción: que el casco de Aguirre, la ira de Dios es el original de tantas expediciones de conquista y que pasa al olvido en la selva, se recupera y pasa a una hacienda, de la hacienda a la película, de esta

181

La obra reciente de Fabbri establece una relación entre lx artista investigador y el dispositivo de exhibición. Sigue los métodos de la observación antropológica, pero además del involucramiento técnico de la ciencia social, hay otro afectivo e ideológico que el resto de la muestra permite entrever. La búsqueda pasa por la representación, pero da el paso siguiente, que es la posibilidad de que el sujeto investigado se emancipe de la obra y de lx artista.

182
183
JUAN FABBRI cimiEnToS (2018), cascos metálicos, agua, pecera de vidrio, dos pedestales de madera, drywall, luces

a un anticuario y de este a la muestra de Juan Fabbri. El objeto es entonces producto de desplazamientos geográficos y temporales. Así va ganando sentidos, historias que se adhieren a los átomos como las historias que se filtran en los socavones mineros. Y ahí, encerrado en la exposición, el casco sigue respirando otros relatos que pueden estar domando la arqueología para alejarla de sus condiciones científicas y acercarla a sus principios rituales. Es de alguna manera regresar a ciertos orígenes, encontrarlos más allá de lo auténtico, animarse a concebir la realidad como terreno subjetivo, sin verdades únicas, como construcción heterogénea. Yo escojo creer que ese casco transmite otras cosas más allá de su oxidación. Está descentrado de la lógica lineal de la reacción química, se inserta en la diafanidad de la técnica al servicio ritual de la fe pura, de una espiritualidad material no certificable. Pensando en arqueologías estaba Latour cuando lo encontraron perdido en el altiplano. En medio de su delirio, profería: “En lo que respecta a su agencia, la naturaleza no define lo que se ensambla en la práctica, ni la expresión ‘religión’ califica el tipo de personas, ritos y apegos propios de esas prácticas.” (Latour, 18-2-2013) Se calla, retoma al cabo de seis minutos de profundo silencio, tan profundo que parece que el viento se va a tragar a lxs rescatadorxs y al propio Latour. “Para todos los ensamblados por la naturaleza, esta conclusión debería ser clara. […] Al seguir su propio cruce uno tiene que adentrarse en las redes científicas, para absorber la asombrosa multiplicidad de sus agentes, para registrar la larga concatenación de su sorprendente y animada agencia y tragarse la controversia en eterna expansión de múltiples asuntos de preocupación”. (Latour, 18-2-2013) 54

Hay dos piezas de Aldair Indra Coronado que me interesan porque están pensadas como arqueologías para un futuro probable. La primera, Sombras para el futuro, consiste en diez discos de arcilla cruda pintados de oro metálico con inscripciones en sistema binario. Los discos se entierran parcialmente o se depositan entre muros en diferentes lugares del valle de Pucará de Tilcara, cerca de Jujuy, Argentina, como ofrendas a ese futuro improbable, todavía en sombras.

La otra pieza, Disco Solar, es un disco de mayores proporciones que se activa en el espacio expositivo por un mecanismo que le permite rotar sobre su eje. A diferencia de la primera, que se exhibe como registro de la intervención, acá el objeto juega un rol importante en el dispositivo de exhibición. Sin llegar a ser site specific, hace pensar en lo específico del lenguaje y el tiempo y en cómo estos condicionan la arqueología, que, a diferencia de la

184
54 La traducción
es mía.

ALDAIR INDRA SomBraS dEl

FUTUro (2016), diez discos de arcilla cruda, cubiertos de pintura dorada e incisos en sistema binario, enterrados en los alrededores del Pucará de Tilcara, Jujuy, Argentina.

geología, se preocupa por los restos que deja lo humano. Los discos solares hacen referencia a prácticas andinas prehispánicas y también a discos lanzados por la NASA. Las inscripciones, indescifrables para la mayoría, contiene palabras como “etnia” y “territorio”. En cambio, Disco Solar lleva inscrita una parte del relato de Emeterio Villamil de Rada, que situaba el origen del mundo en Sorata. Aymarista e indigenista, en sus escritos e investigaciones da un vuelco en la historia oficial. Este otro relato es llevado al disco de Indra y luego “lanzado” al futuro mediante un giro concéntrico permanente en el tiempo de exhibición, como un modo de pensar en la in-permanencia del tiempo en el cubo blanco, y en que ese tiempo y ese espacio pueden ser lanzados hacia metáforas perdidas en las estrellas (la muestra se titula “Un mensaje a las estrellas”). Estoy convencido de que la extracción está de alguna manera conectada con la arqueología: esta busca rastros y respuestas mediante excavaciones, la extracción minera opera con técnicas similares pero ampliadas.

187

El disco en desplazamiento me remonta a una pieza esencial para el performance en el paisaje, desarrollada a inicios de los 2000 por Juan Pablo Arce en el valle de Maragua. En ese paraje inusual en las cercanías de Sucre, existe una formación geológica hecha de capas de sedimentos rocosos de las eras cretácica y terciaria que, vista desde el aire, se asemeja a una concha marina (Valencia Achá, 2017). Esa es la forma característica del sinclinal, conocido como “cráter” en los paquetes de turismo.

En el video, se ve a Juan Pablo cargando un disco que espeja la formación geológica y las tensiones que se producen entre mito, leyenda y ciencia. La recolección de esas imágenes no dista mucho de las escrituras encriptadas en códigos de Aldair Indra. El cuerpo de Juan Pablo establece una relación íntima con las rocas, la arena, la tierra y los ríos por los que se desplaza, pero además hay una tensión de orden espiritual, como si el espejo pudiera estar recogiendo ecos de pobladorxs, de historias y cantos invisibles. Por todo ello, se trata de una pieza pionera en la indagación de las dimensiones espaciales y temporales del desplazamiento propia de una acción site specific. Regresar a ella es realizar arqueología y geología de la historia del arte nacional, pues se ha mostrado muy poco. Yo la vi el 2011, mientras hacía una residencia en Kiosko. Juan Pablo se quedaba en la casa que compartíamos con Galo Coca y Roberto De la Torre, un artista mexicano, y la proyectamos en una sesión casera. Me ha acompañado desde entonces.

Latour55 se despierta de un baldazo de agua fría. Arguye que Gaia, ese mundo alternativo, está ahí afuera pero también adentro. Es una deidad femenina sin las trampas de la religión. Animada e inanimada. Universal y local. Libre, controvertida, hecha para otro planeta tierra, para otra gente. Así de ajena a eso que solía llamarse naturaleza. Rechaza Latour, todavía afiebrado, que la idea clásica que la religión tuvo de la naturaleza nos daba a lxs humanxs permiso para la extracción. Y así, recibiendo los discos, los cascos, camina, deambula por las formaciones geológicas de Maragua, atribuyéndole al sitio lo que merece: perderse, contradictorio, en la mitología de la ciencia.

Disco Solar lleva inscrita una parte del relato de Emeterio Villamil de Rada, que situaba el origen del mundo en Sorata. Aymarista e indigenista, en sus escritos e investigaciones da un vuelco en la historia oficial. Este otro relato es llevado al disco de Indra y luego “lanzado” al futuro mediante un giro concéntrico permanente en el tiempo de exhibición

55 Lo que aparece en cursiva se toma literal de: Latour, 18-2-2013.

n

ALDAIR INDRA diSco Solar (2017), proyección de circuito cerrado, 1 x 3 m, exposición “Un mensaje a las estrellas”, La Paz, 2017. Abajo: disco de 1 m de diámetro, sobre motor rotatorio, con inciso en código binario (fragmento de La lengua de Adán, de Emeterio Villamil de Rada). Página 186: detalle. Página 189: stills de diSco Solar, video HD, 11’ 49’’, color, sonido.

188
189
JUAN PABLO ARCE PUririy (2001), video SD, 18’ 27’’, color, sonido.

imaginados

¿El territorio del paisaje sólo se mide en imágenes? ¿Será esa su única voluntad y fortaleza de representación?

En una entrevista que le hacen a Latour en la revista National Geographic of Gaia56 , el paisaje revela que la rebelión silenciosa contra el poder de la imagen romántica que lo representa también la están gestando las partículas que se amontonan en el sonido grabado en las obras de artistas contemporánexs. En esa entrevista llena de anécdotas, se evidencia la cantidad innumerable de momentos en los que la experiencia del paisaje se da en su sonoridad, en el silencio que emana distante de las ciudades. Ahí, sin embargo, el estridente paisaje sonoro de la ciudad mete cuchara para defender su existencia, tan paisaje como el de las zonas rurales, tan autónomo en sus formas y pensamientos.

Qué complejo se hace hablar de paisajes sonoros. Su afectación territorial es profundamente impalpable y la pregunta sería si, así como se puede pensar en un extractivismo de las ideas cuando se habla de colonialismo desde Europa, se podría hablar de extracción en sentido sonoro.

Antes del tiempo, obra con la que Daniel Bargach Mitre gana el SIART 2016, es una instalación sonora de varios canales que introduce a lx espectadorx en el bosque nativo. Si algo se puede rescatar al oírla, es la confrontación de una serie de lenguajes de métricas intrincadas, sobreimpresos a unas pocas oraciones en castellano. El dispositivo sonoro se montó en un sótano en forma de cámara alargada que queda bajo el patio del CCELP, colindante con el paseo Núñez del Prado, a su vez situado sobre el embovedado del río Choqueyapu. Casi imagino el sonido estridente del río de la obra de Andrés Bedoya, contigua a los lenguajes imaginables e inteligibles para el grueso de la población paceña hispanoparlante.

El día que visité la instalación, el cúmulo de sonidos y voces me situó en un etéreo territorio imaginado, tan imaginado como las bestias que poblaron los mapas de los descubridores. La vastedad de lo desconocido y una idea

56 Es una invención mía que hace referencia directa a la charla titulada “Facing Gaia”. En la mitología occidental, Gaia es una deidad de la naturaleza. La cultura popular la trae hoy de vuelta en una película como Avatar, de James Cameron.

191 Otros territorios
sonoros

de la res extensa comenzaron a dibujar lugares que esos descubridores no visitaron y distancias que no recorrieron. Cientos de cartógrafxs debieron imaginar escenarios en base a relatos detallados. Eso mismo vivía yo mientras escuchaba los sonidos, cantos, voces plasmadxs en Antes de tiempo. En esa cámara de imaginaciones y maquinaciones, se me permitió un viaje hasta las tierras del Oriente boliviano.

La pieza habilitaba la posibilidad de poblar lo incomprensible de una lengua desconocida para las ciudades. Permitía acercarse a lenguas que se pierden de a poco, a medida que los territorios originales son invadidos por el contacto con el mundo contemporáneo. En la gran bóveda, esas voces se traslapaban con relativa aleatoriedad, en síncopas que no obstante lograban componer algo. La superposición de múltiples capas y canales emisores construía un sentido narrativo que, aunque abstracto, permitía imaginar árboles, senderos, claros, casas, galerías, sonrisas, miradas, piel, dedos, manos, arrugas, poros, cabellos, verjas, corrales, sembradíos, morteros, hierbas, aromas, cuencos, vasijas, platos, cubiertos rechinando, plásticos, camas, camastros, telas, telares y cantos comunales.

DANIEL BARGACH MITRE anTES dEl TiEmPo (2016), instalación sonora en 11 canales y 33 parlantes, koa, arena

192

CIENTOS DE CARTÓGRAFXS

DEBIERON IMAGINAR ESCENARIOS EN BASE A RELATOS DETALLADOS. ESO MISMO VIVÍA YO MIENTRAS ESCUCHABA LOS SONIDOS, CANTOS, VOCES PLASMADXS EN ANTES DE TIEMPO. EN ESA CÁMARA DE IMAGINACIONES Y MAQUINACIONES, SE ME PERMITIÓ UN VIAJE HASTA LAS TIERRAS DEL ORIENTE BOLIVIANO.

Ozzo Ukumari (Oscar Octavio Soza Figueroa), artista sonoro que trabaja esencialmente en Santa Cruz, es integrante y fundador de ARTErias Urbanas, colectivo con una organización muy horizontal que desarrolla prácticas multidisciplinares y tiene un activo compromiso reformador de democracias en el espacio público. Ozzo trabaja con la idea de que el mundo debe abandonar el oculocentrismo, pues el sonido posee en sí mucha más información, es constante y se transmite en nuestra relación con la realidad. Su trabajo, tanto individual como grupal, lo ha llevado a interesarse por la transmisión oral, por los senderos de la escucha profunda, y a entender que un sentido cognitivo sensible puede comunicarse con el contexto primario. Ozzo centra su interés en la forma en que las comunidades de los pueblos indios del Chaco y los llanos bolivianos se relacionan con el paisaje. Lleva años colaborando con varias de ellas, a medida que su tesis doctoral en torno a los cantos chamánicos se va construyendo. Comunica con aparatos tecnológicos la oralidad y los sonidos de lugares ajenos a las galerías y museos de las ciudades y permite imaginar bosques y comunidades distantes. Ozzo se ha permitido perderse en un tiempo no del todo lineal y abrir bifurcaciones para pensar paisajes articulados con el tiempo alterno.

Si la conquista y la evangelización se han sistematizado a partir de imágenes, un regreso a la oralidad podría recuperar corporalidades maniatadas, sentidos adormecidos y una espiritualidad anegada bajo sedimentos de cultura, religión y capitales acumulados. Conectar el mundo material con una cuestión espiritual es en Ozzo una convicción política que él asume frente a todo un sistema de ser, pensar y estar en Gaia y su zona crítica. Lxs entrevistadxs narran para imaginar imágenes, para imaginar el bosque y sus propiedades de cura, para imaginar plantas que combaten el covid 19. Y para oponerse al relato de las empresas farmacéuticas que vienen lucrando con las tragedias de la pandemia. En un sistema neoliberal, estas recetas y testimonios son sediciosos, pues un grupo de chamanxs y otras personas, con precariedad tecnológica y por fuera del sistema, logra hacerle frente a la

193

pandemia. La obra usa la entrevista como conducto y toma el podcast como potencial sujeto político en la formación de imaginaciones alternativas. Estoy convencido de que, al quitarle el sentido de imagen al paisaje, entidad que es en esencia imagen y que lleva toda su existencia pensándose y gestándose desde la imagen, se dejará entrever que la fuerza creadora es esa potencia que imagina algo para que luego se forme (un debate casi teológico). Es ese momento energético y eléctrico de la sinapsis en el que se forma la idea del paisaje y que hasta ahora veía únicamente equipado de imágenes visuales. ¡Me adhiero a un movimiento que considere que hay algo más en la imaginación que las imágenes! Puedo ver, deambulando por otros paisajes sonoros, el sonido hecho cuerpo, volumen, escultura, espacio. Creo que a eso se refiere Ozzo cuando plantea desde sus textos, experiencias y convicciones un lugar en la invisibilidad de los mundos, mundos en niveles.

Páginas 194 y 195: ARTERIAS URBANAS (O ZZO U KUMARI Y M ILTON S OSA ) mEdicina ancESTral FrEnTE al covid (2021), video digital HD, dos capítulos de aproximadamente 16’ cada uno, color, sonido

194

¡ s

¡Me adhiero a un movimiento que considere que hay algo más en la imaginación que las imágenes! Puedo ver, deambulando por los territorios imaginarios de otros paisajes sonoros, el sonido hecho cuerpo, volumen, escultura, espacio. Creo que a eso se refiere Ozzo cuando plantea desde sus textos, experiencias y convicciones un lugar en la invisibilidad de los mundos, mundos en niveles.

195

Mis nuevos socavones

perpetuos

¿Puede el arte sanar la tierra? ¿Enmendarla?

–¿Y si no me da la gana?– susurra. –¿Y si no me da la gana sanar? –confiesa en una carceleta antes del juicio por sedición que le ha abierto el Estado.

En el inframundo, los socavones celebran la llegada de Miguel Hilari a la bocamina. La roca recupera de a poco la capacidad de cantar. Es como que, susurrando, puede volver a nadar, a hablar. Mientras observo la escena, sigo preguntándome por los intersticios que hay entre lo que, con tanta facilidad, denominamos “superficie”, y lo que, con tanto recelo, llamamos “interior mina”. Lo circular, recíproco y cíclico deja lugar a una construcción, a un vacío que en mi mente se va formando, una especie de portal hacia socavones mentales. Ya no estoy hablando de una montaña perforada y penetrada por tantos lugares como ha sido posible. Voy a hablar de un grupo de trabajos que plantean alternativas a la montaña y sus huecos, pero también a la comprensión de un territorio dividido con líneas humanas imaginarias.

196

En Taypi (2015), de José Arispe, dos hombres van atando y desatando una soga para hacer un círculo. Lo que uno hace, el otro lo deshace. ¿Desenvolver para envolver o al revés? Es una sola escena sintética en la que el video va y viene, los personajes como dando la vuelta al reloj.

Pienso en el mar, en el lago, en las olas y en los continentes. En un dibujo que delinea los lugares donde ha desaparecido la ola en la arena, multiplicados en el tiempo, borrados y vueltos a dibujar, nunca en el mismo lugar, nunca de la misma forma, como las líneas dibujadas por la soga, imperfecta en su forma, pero no menos poderosa en su búsqueda cíclica, pasos que pasan por encima de los pasos antes caminados, como la humanidad en sus paseos por este planeta. En las cartografías originales de América, la línea que define la forma del continente varía. Incluso en la actualidad, nuevas mediciones permiten redefinir áreas ya establecidas. ¡Estamos apenas rascando la superficie! ¡Cómo podrían establecerse esas líneas si por abajo todo se mueve y revuelve!

Me fascina la idea de que, con su accionar, los personajes se están insertando en un túnel temporal, especie de socavón sin espacio, pero profundo en dimensiones alternas a las construidas por la noción de arquitectónica de terreno. Socavones cíclicos, perpetuos, forma disuelta de generaciones enteras de ángeles de la modernidad en su tarea de revolver el pasado y sus ruinas.

197
JOSÉ ARISPE TayPi (2015), video HD, 7’ 47’’, color, sonido

Como la de Arispe, la acción Sutura (2016), de Yhomara Muñoz, es sencilla en sus contenidos. Se construye como parte del encuentro artístico “Apthapi”57, realizado en las comunidades de Pisiga y Colchane, en la frontera entre Chile y Bolivia, en el contexto del juicio que Bolivia le abre a Chile en la Corte Internacional de La Haya en reclamo de una salida al mar. Bajo el sol abrasador del altiplano, equipada con guantes quirúrgicos como si fuera a lidiar con una herida mortal en un quirófano, Muñoz sutura la tierra durante varias horas, trazando una línea continua de algunos metros. Zurce la línea fronteriza, que se diluye en la hermandad entre ambas poblaciones, porque ahí se es menos Bolivia y Chile y más una comunidad de frontera. Yo encuentro asociaciones entre lo femenino de la acción y lo femenino de la tierra. No solo veo un cuerpo suturado: veo también la zurcida de la ropa envejecida. Reponer la vestimenta es una acción repleta de simbolismos inherentes a la lucha de clases, a los movimientos obreros tradicionales, a las ropas de los mineros zurcidas por sus esposas. Es una acción receptora de miles de relatos de búsquedas de alternativas a la pobreza, de creatividad ante la escasez.

Páginas 198 y 199: YHOMARA MUÑOZ SUTUra (2016), Trabajo de sutura de 153 cm de largo, hilo y aguja en la tierra, frontera Pisiga (Bolivia)-Colchane (Chile)

57 Encuentro binacional de arte en la zona del Hito que divide Chile de Bolivia, organizado por los colectivos AntiArte (Jaime Achocalla, Franz Ramos, Nelly Tapia) de Bolivia y Chungungo de Chile, con el fin de realizar una serie de intervenciones artísticas urbanas y/o en el paisaje.

198

La sutura es tierra ahora repleta de agentes que atraviesan los ríos de la epistemología y la historia, cruzan los ríos de los sentidos naturales y de la geopolítica macro, ríos entre la ciencia y la naturaleza. La acción se concentra en lo mínimo de un gesto potente que devuelve magia y honor a ese pedacito de terreno. Lo micropolítico es altamente relevante en la acción, porque comprende las dimensiones de la aguja, el hacer del zurcir, el saber heredado y la empatía necesaria para sanar heridas. El 2020, esa acción también podría haber servido como puente entre humanidades olvidadas y rezagadas y las que ya estaban de vuelta en la madre patria, título horripilante para esta gran comunidad de bolivianxs que mucho caso le hace a su himno y poco mira a sus compatriotas58 .

Aquel 2016, mientras miraba la acción, me preguntaba si el tiempo se había detenido en una sutura perpetua, sellando socavones imaginarios en la mirada de miles de bolivianxs, zurciendo los anhelos petrificados de la esperanza productiva puesta en los recursos no renovables. Tal vez Yhomara, ese día, estaba suturando las realidades ya extraídas del paisaje.

58 Al comienzo de la pandemia de covid 19, en abril de 2020, el gobierno transitorio aprobó la llegada de vuelos solidarios desde Chile y otros países y, de manera simultánea, prohibió el acceso a lxs ciudadanxs que regresaban por tierra. Por aproximadamente mes y medio, estxs permanecieron en la frontera en condiciones infrahumanas, antes de poder regresar a sus comunidades. En alusión al trato recibido, en su momento se habló de ciudadanxs de primera clase y ciudadanxs de clase turista.

199

Ese mismo 2016, el Kolectivo de Agresión Cultural Perro Petardos59 gana el SIART con una pieza trascendental que realiza una aproximación transversal a la mina orureña. Lo que buscan las raíces plantea la migración de un árbol arrancado de la ciudad de Oruro, que los integrantes del colectivo cargan en procesión hasta el interior de la mina. Sergio Fernández, uno de los integrantes, es hijo de mineros y ha trabajado en la mina junto con su hermano. Hay en la acción, por lo tanto, algo autobiográfico que se suma a la veneración de la ciudad entera por las minas y el cerro que tiene detrás. Con la bendición del Tío, el colectivo lleva el árbol hasta el fondo de la mina y ahí lo “planta” hasta dejarlo morir, como ofrenda a las profundidades del mineral. El árbol sobrevive casi un mes, y los artistas, casi minerizados, se mantienen en relación ritual con las entrañas de la tierra y los pagos que se le hacen al Tío “Lucacho” en el cerro Pie de Gallo60 . En la muestra, además del video del ingreso, el ritual y la plantación, se exhiben registros fotográficos y evidencias materiales de lo vivido. Una parte del socavón migra temporalmente a la Casa de la Cultura de La Paz. Una pequeña rama verde nace de un casco minero hecho maceta: la planta ha perforado el metal y ha crecido a través de él. El montaje presenta todas las sutilezas implicadas en el gesto que es llevar el árbol a la mina.

En medio de la espera y la acción, el colectivo le pide al Tío ganar el SIART, con la promesa de un retorno a la mina, y el Tío les concede el triunfo. Así regresan a pagarle, con una mesa61 especial, que les ha costado mil bolivianos (unos 140 dólares). Dentro de la mina se encuentran con una hoguera enorme y una multitud de mineros, en un espacio de cuatro metros por cuatro. La ch’alla62 se extiende hasta el amanecer, y luego de dos horas, todos, con lo consumido en favor de y entregado al venerable, salen de las profundidades de la tierra a encontrarse con el sonido de las trompetas del carnaval orureño.

59 Tanto ellos como el colectivo son referentes del arte contemporáneo en Oruro. AntiArte organiza una muestra anual en la ciudad, tradicionalmente marginada del eje cultural La Paz-Santa Cruz-Cochabamba. Resultado de esas muestras fue Apthapi. Jaime Achocalla, miembro tanto de AntiArte como de Perro Petardos, tiene un trabajo individual en torno a la tierra, el territorio, el nacionalismo y la existencia humana.

60 Sergio Gareca, poeta y parte del colectivo, habla en detalle de la acción en uno de los encuentros del Programa de Estudios Descoloniales del MNA (Gareca, Reinaga y Cusicanqui, 2021).

61 Papel o soporte diminuto de madera o metal sobre el que se despliegan dulces, mixtura, papeles, golosinas de colores, azúcar moldeada (llamada “misterios”) y otros elementos. Las mesas se realizan en múltiples momentos del año, siempre como ofrenda y en agradecimiento a la Pachamama, al Tío o a otras entidades.

62 En las regiones occidentales de Bolivia, ritual que se realiza principalmente en carnavales y al momento de estrenar un negocio, casa, construcción, etc., para pedirle a la Pachamama su bendición.

200

Esta página y las dos siguientes: COLECTIVO DE AGRESIÓN CULTURAL PERRO PETARDOS lo QUE BUS can laS raícES (2016), video HD, 6’ 43’’, color sonido; registro fotográfico de acción (13 ejemplares, 10 x 15 cm, B/N), objetos y textos en sala

201

Lo que buscan las raíces aborda lo que pocos trabajos de arte boliviano han logrado hacer: hablar sin intenciones representativas, como registro de una experiencia puntual y altamente poética. Las raíces buscan el agua que las haga crecer, como el arbolito que nace del casco. El árbol muerto entregado al Tío y a la mina es ese árbol y muchos otros: los árboles que el 2019 y el 2020 mueren en la Chiquitanía y son llevados a Santa Cruz a perturbar las conciencias de lxs dueñxs del agronegocio; las queñuas que migran al centro de La Paz, refugiadas de un modelo económico que las ha despojado de sus territorios; la madera que ha servido de puntales en los socavones, mascada con dientes de mineros atrapados en el fondo de las minas.

El corto documental Bocamina (2019), de Miguel Hilari, se mete con la herencia minera de la ciudad de Potosí. Se abre con un sonido chirriante de fondo, en lenta aproximación al cuadro Descripción del Cerro Rico y la ciudad imperial de Potosí, de Gaspar Miguel de Berrío. El cuadro y la representación colonial del Cerro dan lugar a la negrura: la primera parte del corto retrata los trabajos de un grupo de mineros en la oscuridad del socavón, donde la imagen es apenas lo que la lámpara ilumina, como en la sala de cine. La oscuridad más profunda, la pantalla negra, un espejo negro que devuelve fantasmas al público. Como por arte de magia, al fondo se prenden dos puntos blancos y poco a poco unx se va dando cuenta de que esos puntos crecen y, como chispas, se mueven en la negrura, en ese volumen que tan bien describió Poppe. Como si fuera una estocada, la luz ilumina

202

finalmente el espacio estrecho en el que la cámara está asentada. Antes, en la negrura, todo era improbable, lejano y distante, una galaxia de pequeñas luces. Ahora, una desgarradora sensación de enclaustramiento atrapa la mirada: la imagen es eso que se construye con luz. No es hasta ese paso fugaz que se entiende la espacialidad del socavón, un lugar con arquitecturas inventadas a pesar de la precariedad, tanto del espacio como de la economía. Arquitecturas perversamente ingeniosas, desafían la arquitectura de autor, así como evidencian la perversidad del capitalismo y la pobreza. La luz pasa, los mineros se alejan detrás de la cámara y regresa la negrura, se apaga el sonido, se apaga el mundo y se lleva todas esas preguntas.

Escena del trabajo en la mina: mineros con casco introducen dinamita en la piedra, apuntan a ciertos lugares con sus lámparas. Fugazmente quiero creer que sus cuerpos son reemplazados por el haz de luz que emana de una cabeza sin ojos, cíclopes que rasgan la oscuridad con líneas de luz que cortan el espacio y que, bajo un hechizo, le dan forma y dimensión.

ANTES, EN LA NEGRURA, TODO ERA IMPROBABLE, LEJANO Y DISTANTE, UNA GALAXIA DE PEQUEÑAS LUCES. AHORA, UNA DESGARRADORA SENSACIÓN DE ENCLAUSTRAMIENTO ATRAPA LA MIRADA: LA IMAGEN ES ESO QUE SE CONSTRUYE CON LUZ. NO ES HASTA ESE PASO FUGAZ QUE SE ENTIENDE LA ESPACIALIDAD DEL SOCAVÓN, UN LUGAR CON ARQUITECTURAS INVENTADAS A PESAR DE LA PRECARIEDAD, TANTO DEL ESPACIO COMO DE LA ECONOMÍA.

203

(2019), video digital HD, 22’ 3’’, color, sonido

MIGUEL HILARI Bocamina

La segunda parte consiste en entrevistas a colegialxs niñxs y adolescentes de escuelas cercanas a la mina. Un niño se sorprende con las reproducciones de dos cuadros potosinos coloniales: el del mencionado Berrío y Virgen Cerro, de autor anónimo del siglo XVIII. El niño reconoce ahí su lugar en el mundo, pero también en el tiempo. “Este es el mundo de Potosí”, dice, sabiendo que el cielo representado es el mismo que se eleva por encima de él. Es el mundo de Potosí, de la mina, del Tío y de las consignas sociales. El minero de hoy es consciente de la fatalidad, pero también de lo que ya se ha conquistado. El documental lleva al fondo mismo de los dolores humanos, pero en ese destino supuestamente irreversible también se encuentra la salida de la mina. Por un momento me quedo pensando en la sentencia final de Quehuaya. Me esfuerzo, sin embargo, en alejarme de ese tiempo y espacio y me adentro en la reflexión del joven minero que asegura que los mineros no son pobres, porque ganan bien en la mina, y, sin embargo, todo ese dinero se desvanece tan rápido como llega. La lucha de clases ha sido uno de los bastiones de los trabajadores de las minas, la piedra angular de un pensamiento marxista que también define la Bolivia del siglo XX. Esa conciencia de que la mina te mata pero da ganancias. Saberse heredero de un sistema de producción viciado permite también una salida.

Ese mundo acaba por enfrentar al público con la mirada de lxs otrxs: los ojos de los mineros y luego de lxs niñxs. El silencio absoluto y el acercamiento concentran la imagen en esos ojos, en las arrugas, en los gestos, en la luz en la córnea, en el cabello y en todas las fibras que hacen el cuerpo de la ciudad y su cerro. Cuerpo material con una profundidad espiritual que solo el Tío conoce, solo la Pachamama compadece, solo la plata consume. Bocamina podría ser llevada con facilidad a una sala de museo, ser repensada para una proyección desdoblada en varios canales. Yo sigo imaginando que entre los sables de luz y la Escuela Luis Espinal63 hay caminos comunes. Que ahí se encuentran hermanados los sentidos de otra historia boliviana escrita desde el arte en un tiempo que reniega del arte, porque dificulta lo que las redes sociales tan fácil han hecho: el convencimiento de lo que quiero creer. Bocamina es un testimonio desgarrador y emocionante, profundamente humano y material. Imagino a Perro Petardos introduciendo árboles en estas minas.

63 Sacerdote jesuita, periodista, poeta y cineasta español nacionalizado boliviano. Figura fundamental de la militancia por los derechos humanos en contra de las dictaduras de la década de 1970, fue asesinado en 1980 en La Paz por militares y paramilitares subordinados a Luis García Meza, quien meses después daría un golpe de Estado.

205

Canción del cerro, alma de árboles

“A MUY celebrada, siempre ínclita, augusta, magnánima…” 64 , muy enamorada, Potosí siempre mira al Cerro. Ese Cerro que es diablo, santo y cadáver. Sufre diálisis semanalmente en rellenos voluminosos con retazos de tierra, para que la montaña que alguna vez alojó el rostro de la Pachamama se vuelva a ver joven como antaño. “Único milagro de la naturaleza; perfecta y permanente maravilla del mundo; […] rey de los cerros, […] clarín que resuena en todo el orbe; […] atractivo de los hombres; imán de sus voluntades” 65 . Hoy el Cerro ya no se siente imán, se va y migra. Migrante y emisario del cataclismo, del cisma de las agencias, de la rebelión de los volúmenes, del agotamiento y proeza de las voluntades. Y así, de la catástrofe emana un grito atronador, un rugido furibundo, una montaña en revolución y en pie de guerra. Un minero se adentra en el socavón convencido de sus propósitos. Ha sido convocado por las rocas en la profundidad. Se lo traga la tierra con una bolsa con semillas, cables y focos de luces ultravioleta: en el fondo mismo de la roca, un destello de técnica humana. El minero, tras décadas de pequeños desplazamientos, agua en baldes de diez litros, humus y tierra, hace aparecer un compost. En el fondo mismo de la roca, tras meses y sus noches cargando yutes blancos con humus, lombrices y desechos, un compost. La primera parte de una composición más compleja, un réquiem, una balada aguda de sentidos voltaicos, electricidad en rebelión, luz solar y paneles con cantos de piedra. La roca observa callada, contiene la respiración. Fotosíntesis, germinación y la ronquera. El minero contiene la respiración, aprieta el pecho, los brazos cavan y apenas sostienen el ritmo, el compost en amalgama visceral con el mineral. Las venas de la roca y la tierra silban, se vuelven corporalidades libres. Las luces UV se abalanzan sobre pequeños retazos de negrura; luces rituales, empurpurecidas, enmagificadas. Se inicia la más minúscula huerta, casi cuántica, que altera

64 Palabras iniciales de Relatos de la Villa Imperial de Potosí (1705-1736), de Bartolomé Arzáns de Orsúa y Vela. (Arzáns de Orsúa y Vela, 2000)

“A MUY CELEBRADA, SIEMPRE ÍNCLITA, AUGUSTA, MAGNÁNIMA…”, MUY ENAMORADA, POTOSÍ SIEMPRE MIRA AL CERRO. ESE CERRO QUE ES DIABLO, SANTO Y CADÁVER. SUFRE DIÁLISIS SEMANALMENTE EN RELLENOS VOLUMINOSOS CON RETAZOS DE TIERRA, PARA QUE LA MONTAÑA QUE ALGUNA VEZ ALOJÓ EL ROSTRO DE LA PACHAMAMA SE VUELVA A VER JOVEN COMO ANTAÑO.

206
65 Op. Cit.

átomos y partículas de mineral en savia, en líquido vivo, consciente de su placer purificado. Ahí, en lo más hondo de los huecos de la tierra, los materiales, todos, se han rebelado en una orgía de saberes y sentidos abiertos, gozan profundamente, desatados de la tabla periódica. Sin coartadas, sin reparos, sin prisas, van germinando, van deslizando sus fibras por entre socavones y dinamitas, entre sangre y músculos rotos, van contagiando la mina, al Tío y sus maquinaciones, sus vicios y sus ofrendas, ahora tan grandes y profundas como la misma corteza del planeta. El minero y la multiplicación. Las corrientes se adentran, crecen los huertos, algoritmos científicos reverdecen como pandemia en los socavones. En el hervidero de mina, el minero sangra. Inicia una sublevación del cuerpo y sus afectos, y una vez sustraídas del imaginario de las entrañas, sus propias partículas y células marchan irrefutables. Atrás quedan los viajes somatizados del porvenir distante.

El estruendo en la voz del minero convocado da paso a una selva descontrolada de brotes, se abalanza alrededor de los diferentes Tíos, infestando con plantas medicinales las paredes del socavón. Se huele por primera vez el aire fresco de la fotosíntesis en el interior mina más verde producido jamás. En las cavernas sulfurosas el agua se escurre, las ramas crujen mientras se abren paso entre fisuras. Ya no caen rocas succionadas hacia el interior de la montaña, ya no se desestabilizan los suelos, la montaña ya no necesita puntales ni rellenos, su volumen se comprende solo.

En las noches se habla de árboles, en las calles de Potosí se esparce la voz de que el cerro se está abriendo. Lo que emana de la profundidad ya no es plata en ríos, vetas e imaginaciones producidas por el destello. En las noches: aroma espeso y humos de colores.

La cumbre se quiebra, se rompe el mineral, los socavones se rellenan de enredaderas, las conexiones de luces UV han inundado las raíces de la montaña más fértil del mundo, monstruo de riqueza, antiguo cuerpo de tierra y alma de árboles. Una vez más apelaron a la imagen y cientos de miles de rostros acaparan la tierra, rebalsan como magma verde, dibujados en sus hojas, en sus cortezas, en las raíces. Dibujan rocas y maquinaria en sus hojas, en sus cortezas. Van sonando las rocas, suenan campanas, suenan dinamitas en sus rostros, en sus cortezas. Van cantando las piedras a medida que brotan. Las copas de los árboles hechas vetas de plata, líneas plateadas y sonoras. Los rostros abren sus bocas, cada garganta se adentra kilómetros, socavones de estruendo, directo a la caldera del manto, cantos diluidos de magma verde hirviente. Huele a hierba de nuevo, a bosque en expansión, a humedad migrante, a llanto. Los segundos en huelga sediciosa se apagan, su sabor a mina se extingue. Llueve. Llora una eternidad.

207

GASPAR MIGUEL DE BERRÍO dES cri P cion d E zE rro r ico E y m PE rial v illa d E PoTo S í (1758), óleo sobre lienzo, 182 x 262 cm (con marco), Museo Colonial Charcas, Universidad San Francisco Xavier de Chuquisaca, Sucre

208
SANTIAGO CONTRERAS SOUX canción dEl cErro (2021), grafos y marcadores sobre papel, 21 x 13 cm

A NDAUR , R. (5-5-2015). “Abubuya y sus ramificaciones en la selva boliviana.” Atlas. Santiago de Chile. https://rodolfoandaur.com/portfolio/ abubuya-y-sus-ramificaciones-en-la-selva-boliviana .

A NÓNIMO. (2-4-2020). “El corral y el viento: un documental imprescindible del cine boliviano”. Muy Waso. Cochabamba. https://muywaso.com/el-corral-y-el-viento-un-documental-imprescindible-del-cine-boliviano/.

A NÓNIMO. (10-10-2020). “Una ayuda a un compoblano consecuencia de un hecho trágico. La unión hace la fuerza”. El Sinche Noticias . Huancavelica. https://www.facebook. com/108194203865315/videos/337146124234123/

A RZÁNS DE O RSÚA Y V ELA , B. (2000). Relatos de la Villa Imperial de Potosí. Antología. Selecci ó n, introducci ó n y cronolog í a de L. Garc í a Pab ó n. La Paz: Plural, Cooperación Española.

B ENJAMIN , W. (2019). La obra de arte en la era de su reproductibilidad técnica . Traducción: F. Santos. Buenos Aires: Godot.

C LAURE , R. (2020). Warawar Wawa . Manizales: Raya.

C OLECTIVO C HUNGUNGO (ED.). (2016) Apthapi. Encuentro de arte contemporáneo en la frontera Bolivia-Chile 2016. Iquique: edición de autorxs.

C ONTRERAS , S. (2017). El paisaje busca obituario. La Paz: edición de autor. https://santiagocontrerassoux.wordpress. com/2017/01/07/el-paisaje-busca-obituario/ ----------------. (2018). 5458 . La Paz: A Ediciones, Gran Elefante. ----------------. (2021). El manifiesto de las partículas (ampliado) . La Paz: edición de autor.

C REISCHER , A., M. J. H INDERER Y A. S IEKMANN (EDS .). (2010). Principio Potosí. ¿Cómo podemos cantar el canto del Señor en tierra ajena? Berlín, La Paz, Madrid: Haus der Kulturen der Welt, Museo Nacional de Arte, Museo Nacional Centro de Arte Reina Sofía.

E AMES , R., E AMES , C. (1977). Powers of Ten. Los Angeles: Eames Office, IBM. https://youtu.be/0fKBhvDjuy0.

F ABBRI , J. (2018). “CIDIOS Juan Fabbri, KIOSKO Galería, 2018”. Arte Boliviano Actual, Santa Cruz de la Sierra. http://artecontemporaneoboliviano.blogspot. com/2018/07/cidios-juan-fabbri-kiosko-galeria-2018.html?view=mosaic.

F OSTER , H. (2001). El retorno de lo real. Madrid: Akal.

F RIEDRICH, M., ROST, A. (2016). Vivir Bien. Buen Vivir. La Paz: Museo Nacional de Arte, Goethe Institut.

G ARECA , S., R EINAGA , L., C USICANQUI , R. (11-2-2021). “¿Qué es arte? Perspectivas desde el carnaval”. Museo Nacional de Arte, PED Diálogos.

210 BIBLIO-VIDEOGRAFÍA

https://www.facebook.com/ museonacionaldeartebolivia/ videos/158628089264469

G ÓMEZ , M. I. et al. (2014). Los bosques de queñua de La Paz. Cartilla para conocer y cuidar nuestros bosques nativos andinos La Paz: Instituto de Ecología, Herbario Nacional de Bolivia, Colección Boliviana de Fauna, Museo Nacional de Historia Natural. https://www.academia. edu/21561764/Los_bosques_ de_que%C3%B1ua_de_La_ Paz_cartilla_para_conocer_y_ conservar_nuestros_bosques_ nativos_andinos .

H ARDY, S. (2009). “Granizada e inundación del 19 de febrero del 2002. Un modelo de crisis para la aglomeración de La Paz”. En: Vulnerabilidades urbanas en los países andinos (Bolivia, Ecuador, Perú). Lima: Bulletin de l’Institut Français d’Études Andines.

K ASHCHA , A. (2020). https://anvaka. github.io/peak-map/?fbclid=IwAR2eOMZpBeEVZy2JX2BSNKctJ4qMnmg6boxGYfSqGGxNCMKqeAHM76eZsLI#10.49/-18.0977/-68.8764 . (conduce mapa directamente a la ubicación geográfica y coordenadas del Sajama).

L ATOUR , B. (2004). Politics of Nature. How to Bring the Sciences into Democracy. Cambridge: Harvard University Press. ------------. (2005). What is the Style of Matters of Concern . Amsterdam: University of Amsterdam.

------------. (2010). “Steps Toward the Writing of a Composicionist Manifesto”. En New Literary History, vol. 41, 471-490.

------------. (18-2-2013). “'Once Out of Nature' - Natural Religion as a Pleonasm” . University of Edinburgh, Edinburgh. https:// youtu.be/MC3E6vdQEzk . ------------. (19-2-2013). “A Shift in Agency - with apologies to David Hume” . University of Edinburgh, Edinburgh. https:// youtu.be/w7s44BEDaCw .

------------. (21-2-2013). “The Puzzling Face of a Secular Gaia”. University of Edinburgh, Edinburgh. https://youtu.be/ eFUHXJF9wVE .

------------. (25-2-2013). “The Anthropocene and the Destruction of the Image of the Globe”. University of Edinburgh, Edinburgh. https://youtu. be/4-l6FQN4P1c.

------------. (26-2-2013). “War of the Worlds: Humans against Earthbound”. University of Edinburgh, Edinburgh. https:// youtu.be/gsZCS5Zicx4.

------------. (4-5-2018). “Anthropocene lecture: Bruno Latour”. Haus de Kulturen der Welt. https://youtu.be/UtaEJo-jo8Q.

L E P AN , N. (4-1-2020). “Timelapse Maps: An Overview of our Changing Planet ” . Visualcapitalist. Vancouver. https://www. visualcapitalist.com/timelapse-maps-an-overview-of-ourchanging-planet/

211

(15-8-2013). “Juan Pablo Piñeiro: En mi país, el mundo remoto no está muerto”. La Voz . Córdoba. https://www. lavoz.com.ar/ciudad-equis/mipais-mundo-remoto-no-estamuerto/.

M AYER , M. ( ED .). (2019). Fluxus escrito. Actos textuales antes y después de Fluxus . Buenos Aires: Caja Negra.

M OLINA M. C. ( ED .). (2020). Boletín #BoliviaRadical #Virtual. Festival de Cine Radical ImagenDocs. La Paz: Centro Cultural de España en La Paz.

M ONTENEGRO O PORTO , A. (23-8-2020). “El coraje del pueblo. Fuerza colectiva auto-representada”. ImagenDocs . La Paz. http:// www.imagendocs.com/proyecto-mujeres-cine/2020/08/ el-coraje-del-pueblo-fuerza-colectiva-auto-representada/?fbclid=IwAR19D7I14981dXCr8UrWe747FXGMI4qnqdE5orCWYKk-KPJaDQPGZ1ZK4Ks.

PAZ , E. (2016). Jaime Achocalla. Puentes visuales . La Paz: A Ediciones, Kiosko.

--------. (2017). OzZo. Cognosensible. La Paz: A Ediciones, Kiosko.

P IÑEIRO , J. P. (2010). Illimani Púrpura . La Paz: Gente Común.

P OPPE , R. (2003). Interior Mina . La Paz: Plural.

R ADA , D. R. (25-2-2012). “Andrés Bedoya, Río Adentro, video instalación, CAF, 2012 ”. Arte Boliviano Actual , Santa Cruz de la Sierra. http://artecon -

temporaneoboliviano.blogspot.com/2020/02/andres-bedoya-rio-adentro-video.html.

R IVERA , S. (22-7-2010). “Principio Potosí Reverso”. Museo Nacional Centro de Arte Reina Sofía, Madrid. https://youtu.be/ncD7TWLaI5M.

S CHWARTZ , R. (2015). Abubuya KM0 2014 . Santa Cruz de la Sierra: Kiosko.

U KUMARI , O. (2020). “Yangareko. Microrresidencias artísticas en el Chaco”. En Fabbri, J., Garzón, A. (eds.). Post(s) , volumen 6, 364-375.

V ALENCIA A CHÁ , M. (19-2-2017). “La cultura Jalq’a: tejido, formaciones geológicas y fósiles cerca de Sucre” Consulado de Bolivia en Rosario . Rosario. https://www.consuladodebolivia.com.ar/2017/02/19/ la-cultura-jalqa-tejidos-formaciones-geologicas-fosiles-cerca-sucre/

V AN DEN B ERG , H. La tierra no da así nomás . Revista Ciencia y Cultura. La Paz. Vol. 9, n. 15 y 16, Universidad Católica Boliviana San Pablo, agosto 2005, 293294.

V ILLAGÓMEZ , M. (2019). Illimani in Situ . La Paz: Fundación Cultural del Banco Central de Bolivia.

W ENK , S. (2006). “Visual politics, Memory and Gender”. En Auga, U. y Von Brown, C. (eds.). Gender in conflicts. Palestine, Israel, Germany. Berlin: LIT, 113-133.

212 M ATTIO , J.
213 MIGUEL HILARI El corral y El viEnTo (2014) MARÍA FERNANDA SANDOVAL noS comEmoS la monTaña. la monTaña noS comE (2019)
FERNANDA SANDOVAL ESTUdio 1 (2019)
FERNANDA SANDOVAL ESTUdio 2 (2019)
ESTUdio 3 (2019)
ESTUdio 4 (2019) SANTIAGO CONTRERAS SOUX El mUro dE arriaga (2017) JOSÉ BALLIVIÁN El mUro dE arriaga (2015) ALDAIR INDRA diSco Solar (2017) JUAN PABLO ARCE PUririy (2001) DANIEL BARGACH MITRE anTES dEl TiEmPo (2016), MIGUEL HILARI Boca mina (2016),
MARÍA
MARÍA
MARÍA FERNANDA SANDOVAL
MARÍA FERNANDA SANDOVAL

AUTORXS Y EDITORX S

SANTIAGO CONTRERAS SOUX (La Paz, 1986). Es Licenciado en Arquitectura por la universidad Católica Boliviana, La Paz (2010) y MFA por la Bauhaus Universität, Weimar (2015). Su obra se centra en la exploración de los lenguajes y universos comunes entre las artes visuales y la arquitectura, y en los procesos que permiten dotar de agencias a la materia. Ha expuesto en galerías, museos y festivales de performance en Bolivia, Brasil, Argentina, Chile, Chipre, Estados Unidos, España y Alemania. El 2011 ganó el Premio Arte Joven España en la VII Bienal SIART, Bolivia. El 2014, recibió la Beca para Artistas del DAAD (Servicio Alemán de Intercambio Académico). Ha realizado residencias artísticas en Cuba, Bolivia, España y Argentina, y participado en clínicas y talleres internacionales en España y Alemania. En 2016 y 2017 dictó talleres en Kiosko. Fue co-curador de “Salto al vacío: interrogar la pintura”, Programa de Formación y Creación Artística ExpresArte, CCELP, 2017. Desde 2019, es docente de la Carrera de Arquitectura de la Universidad Católica Boliviana, La Paz. Vive en La Paz.

SANTIAGO GARCÍA NAVARRO (Mar del Plata, 1973). Estudió Letras en Buenos Aires y Río de Janeiro. Acaba de publicar su ficción multigénero Un reino junto al mar (Ripio, Buenos Aires, 2022). Editó Corrosión y anomalía. Escenas del arte boliviano contemporáneo (Santa Cruz-La Paz: Kiosko-AECID, 2019), y junto con Douglas R. Rada, Transplurinacional. Perspectivas desde el arte sobre un territorio en mutación (Santa Cruz: Kiosko, 2021). Como miembro del Programa Cultura Política, cuidó de la edición de las publicaciones Yanak Uywaña. La crianza mutua de las artes, de Elvira Espejo Ayca, y La deuda con la belleza, de Max Jorge Hinderer Cruz. Ha colaborado como escritor y editor en proyectos de Mandla Reuter, Adrián Villar Rojas, Matías Duville, Dora García y Carla Zaccagnini, entre otrxs. Con esta última filmó I’m also stepping on wet sand, que se exhibió en 2017 en 68 Art Institute, de Copenhague. Vive en Buenos Aires.

D OUGLAS RODRIGO R ADA (La Paz, 1974). Licenciado en Artes Plásticas por la UDLAP, México. Como artista ha participado en exposiciones en Australia, Chile, España, Italia, Uruguay, Brasil, Argentina y Ecuador, entre otros países. El 2003 estuvo de residente en APEXART, Nueva York. El 2005 ganó el primer premio de la Bienal SIART, La Paz. El 2010 participó en la retrospectiva de la Bienal SIART en el MAC, Santiago de Chile, y en la residencia URRA, Buenos Aires. El 2011 participó en el Proyecto Continentes– Bienal del Mercosur. El 2014 coeditó el libro Performance y accionismo en Bolivia desde 1980. El 2015 estuvo de residente invitado en el espacio Teorética, San José de Costa Rica, y participó como curador invitado en la residencia Rapaces, Managua. Con Ramiro Garavito, curó la Bienal Contextos entre 2011 y 2019. El 2020 curó junto con Kiosko, la XXI Bienal Internacional de Artes Visuales de Santa Cruz de la Sierra 2019-2020. Desde 2016, es director artístico del proyecto Nube-Kiosko, Santa Cruz. Vive en Santa Cruz.

C ARLA S PINOZA (Cochabamba, 1985). Artista visual, fotógrafa, tarotóloga e investigadora. Licenciada en Sociología por la UMSA (La Paz), capacitada en Imagen documental por el CFP (Buenos Aires) y Magister en Estudios Visuales por la UASB (Quito). Considera el arte un territorio de micro-utopías y la investigación como un viaje de compromiso artístico. Su trabajo ha sido exhibido en Bolivia, Brasil, Chile, Ecuador, Argentina, Uruguay, Venezuela, Italia, España y Estados Unidos. Ha sido seleccionada por la Galería de Arte Actual FLACSO Ecuador (2018), la Bienal do Mercosul “Feminismos, visualidades, ações e afetos” (Porto Alegre, 2020), el Festival de Fotógrafas Latinoamericanas “Tejiendo redes en medio del abismo” (Río de Janeiro, 2021) y el Festival de Fotografia de Tiradentes “Salgar a pele, encontrar o que (pro)cura” (Tiradentes, 2022). Participó asimismo en el Proyecto y Residencia Mira Latina (Maceió, 2022) y en el Archivo Mujeres Mirando Mujeres (España, 2020). Curó la muestra individual de Serena Vargas “No estoy loca, soy un ciborg”, en el Museo Nacional de Arte, La Paz. Su trabajo artístico de investigación más destacado es Niña roja , un proyecto de carácter exploratorio y expandido que devela la catástrofe de niñas desaparecidas en Bolivia, y que fue exhibido y discutido en diversos espacios del medio artístico y educativo. Participa en la investigación colectiva Oficina de Imaginação das Monstruosidades (Latinoamérica), y de los grupos de estudio Asamblea Permanente de Pensamiento Periférico (México-Argentina) y Narrativas anticoloniais (Brasil). Le importa estar, crear e investigar desde y para Latinoamérica. Vive en La Paz.

CRÉDITOS FOTOGRÁFICOS

216 CRÉ DI TOS
DE TAPA: Claudia Joskowicz, Duelo (2020), tierra, cenizas, troncos y ramas calcinadas, luz cenital, sillas KIOSKO GALERÍA 2022 KIOSKO@KIOSKOGALERIA.COM DIRECCIÓN: Raquel Schwartz CURADURÍA: Douglas Rodrigo Rada COORDINACIÓN: Jeannine Paz COMUNICACIÓN: Maria Edith Pereira GESTIÓN CULTURAL: Graciela María González ADMINISTRACIÓN: Graciela Arnés MUSEOGRAFÍA: Julio Vargas
DISEÑO GRÁFICO Alejandro Llobet FOTO
de lxs autorxs de las imágenes o de sus herederxs
Cortesía

Raquel Schwartz, Marta Revollo Ruiz, CCELP, KIOSKO Galería, Alicia Ortega, Wara Machaca, Familia Flores, Comunidad Nogalani, Daniel Contreras, María Eugenia Soux, Gastón Ugalde, Canela Ugalde, Bernardo Zabalaga, Valeria Paz

AGRADECIMIENTOS

217

Turn static files into dynamic content formats.

Create a flipbook
Issuu converts static files into: digital portfolios, online yearbooks, online catalogs, digital photo albums and more. Sign up and create your flipbook.