pdf366

Page 1


АПТЕКИ

.BG

Íîâîñòè â

ëå÷åíèåòî è

äèàãíîñòèêàòà

íà î÷íèòå

áîëåñòè

îò òîâà.

Остеопорозасимптоми и лечение

Îðàëíà

õèãèåíà:

Íàé-âàæíèòå ñòúïêè è ìèòîâå, êîèòî òðÿáâà

äà çíàåì

ÌÈÕ – èëè êîãàòî

íîâîòî çúá÷å íà äåòåòî ïðîáèå ñ ïåòíî!

СЪДЪРЖАНИЕ

ЗДРАВЕ

6–Пътуванекъмсебеси:Лидерство,балансивдъхновениевсветаназдравеопазванетоилитературата

11–Новостивлечениетоидиагностикатанаочнитеболести

15–Остеопороза-симптомиилечение

19–Защоеважнодаприемаме„активирани”витаминиотгрупаВ?

23–Какдаовладеемстресавежедневието?

24–Инхалаторнататерапия:Ползииефективноствежедневнатагрижазаздравето 33 – Физиологични „кисти” или доброкачествени тумори

различим?

МАМАИБЕБЕ

35–Работиливестибуларниятапаратнавашетодете?Ученетозависиоттова.

ДЕНТАЛНОЗДРАВЕ

39–МИХ–иликогатоновотозъбченадететопробиеспетно!

41–Оралнахигиена:Най-важнитестъпкиимитове,коитотрябвадазнаем ПСИХИЧНОЗДРАВЕ

45–Израствайкисалкохолизъмилинаркомания:Какдасесправимсемоционалните последици?

47–Какдецатапреживяватсамотата?

ДОМАШЕНЛЮБИМЕЦ

50 –Копрофагияприкучета

ХОРОСКОП

53–ХороскопзаОКТОМВРИ2024

Автори: проф.АсенаСербезова д-рГерганаГенова д-рДелкаКасабова

д-рИванМарков д-рКатяПенева д-рМагдалинаПопиванова-Влахова д-рСветломирДамянов д-рЦветалинаКолачева-Сали,мзм АнелияЛечева-Христакиева ЕвелинаЧанева МариянаТабакова-Боева ПетяСтойчева-Кривицки

МаркетингЕкип: КатеринаЗисова-Христу АннаДимитрова

Печат:ИКЖанет45 Издател:АПТЕКИ36.6,гр.Пловдив, ул.“ВасилЛевски”107, 0876/366-106 reklama@366.bg 366.BG

Ïúòóâàíå

êúì ñåáå ñè:

Ëèäåðñòâî, áàëàíñ è âäúõíîâåíèå

â ñâåòà íà çäðàâåîïàçâàíåòî

è ëèòåðàòóðàòà

Проф. Асена Сербезова е преподавател във Факултета по обществено здраве „Проф. д-р Цекомир Воденичаров, дмн“, Медицински университет - София. Преподава фармацевтично законодателство, лекарствена безопасност, управление

и психолог. Изпълнителен директор на Изпълнителната агенция по лекарствата в периода 2014-2018 г. Министър на здравеопазването в 99-ото

производството и разпространението на

лекарства.

Какви бяха основните

изправихте като министър на здравеопазването по време на пандемията от COVID-19?

Пандемията от COVID-19 постави безпрецедентни

предизвикателства пред здравните системи по света. Ще изброя само малка част от тях, относими към българската

действителност. Пандемията изискваше бързо вземане на решения с ограничена информация, което често налагаше труден избор със значителни социални и икономически

последици. Това доведе до прилагането на математически

модел за прогнозиране на ситуацията с няколко дни напред, което да позволява планиране и предвидимост

– съветите на

фармацевтите обезпечават по-ефективната употреба на

лекарствата, с по-малко нежелани лекарствени реакции и подобрено придържане към предписаното лечение, което води до подобрени здравни резултати. Държавите, в които

няма такива грижи (включително България), се лишават от

възможността да помогнат на хората да употребяват рационално лекарствата и да реализират техния максимален потенциал. Това води не само до неефективно лечение, но и до стотици хиляди предотвратими нежелани лекарствени реакции, както и допълнителни разходи за пациента и за

обществото. Друга необходима реформа е въвеждането на мултидисциплинарни екипи за лечение на пациенти с хронични заболявания, включващи не само лекари и

специалисти по здравни грижи, но и психолози, фармацевти и

други. Системата на здравеопазване е неразривно свързана със системата за социално подпомагане. Считам, че сериозна

иновация би била, ако това прозрение

управляващите. Инвестицията в добра социална политика може да удължи живота повече, отколкото инвестицията в здравеопазването. Според изследователите увеличаването на социалните разходи дори само с 1% спрямо медицинските би подобрило здравословното състояние на населението, независимо от динамиката на медицинските разходи. Тази свързаност на двете системи (здравна и социална) също трябва да бъде сред реформите.

Какво е значението на Добрата дистрибуторска практика (GDP) за фармацевтичната индустрия и как тя влияе върху качеството на лекарствените продукти, достигайки

до крайния потребител?

Добрите практики установяват най-добрите методи, техники, процеси и дейности, които са най-ефективни при постигането на определен резултат в сравнение с останалите методи и техники. С прилагането

управление. Ръководните позиции, които съм заемала (министър на здравеопазването, директор на Изпълнителната агенция по лекарствата и член на Националния съвет по цени и реимбурсиране на лекарствените продукти), работят под постоянен обществен контрол. Сред най-ценните уроци е и този, че ефективната комуникация с медиите, заинтересованите страни и обществеността е от първостепенно значение. Задаването на реалистични очаквания, както вътрешни, така и външни, е от решаващо значение за

избягване на разочарования и запазване на доверието. Прозрачността при вземането на решения и

критично, защото хората, които мислят критично, винаги

поставят системите под въпрос

фармация

подчертава ролята на фармацевта отвъд отпускането на лекарства. Тя повдига важни етични дилеми, свързани с достъпа до лекарства, достъпността им и отговорното

имам по-богата

нива на публикации и

цитирания, увеличавайки видимостта и въздействието на

публикациите.

Адаптацията на успешни чужди практики към българските

условия и действителност трябва да става внимателно и не е

автоматичен процес на копиране и прилагане. Важен е

цялостният контекст.

Как оценявате текущото състояние на образованието и подготовката на фармацевтите в България? Какви промени или подобрения биха били полезни според Вас?

На първо място смятам, че трябва да се промени приемът в

медицинските университети. Не бива акцентът да бъде

изцяло върху наизустяването на учебния материал по

биология и химия. Към медицинските професии трябва да

привличаме смели и емпатични хора, които са преди всичко човеци. На второ място, бих поставила ограничения в броя

явявания на даден изпит. Очевидно е, че

ориентирано, като не липсва необходимият минимум

теория Едно от основните предизвикателства пред фармацевтичното

на разликата между уменията и знанията, придобити по време на академичното обучение, и практическите изисквания на

индустрията. За да се справи с този проблем, българската фармацевтична образователна система трябва да работи в

тясно сътрудничество със заинтересованите страни от

индустрията, за да гарантира, че учебните програми и

програмите за обучение са приведени в съответствие с

настоящите и бъдещите нужди на фармацевтичната работна сила. Считам, че включването на уменията

Íîâîñòè â ëå÷åíèåòî

è äèàãíîñòèêàòà íà î÷íèòå áîëåñòè

Д-р Катя Пенева е специалист офталмолог с над 30 години

опит в областта на очните болести. Работи с пациенти в

очен кабинет - ТЦ Гранд (град Пловдив, ул. „Петко Д. Петков“ 23, ет. 4) след предварително записване на час на тел.: 0887 750 592.

E-mail: doktor_katyapeneva@abv.bg

Офталмологията е специалност в медицината, която върви напред с бързи крачки. Някои очни болести изискват прилагане на фармакологично лечение Такива са алергичните, инфекциозните и възпалителните заболявания на очите и очните придатъци. Но други, като роговични дегенерации, катаракта (пълно или частично помътняване на очната леща) или глаукома (дегенеративна невропатия

поради повишено вътреочно налягане), изискват хирургични интервенции. Профилактиката,

на което зрението се уврежда в различни степени.

Нормалната повърхност на роговицата е гладка, леко поизпъкнала в центъра, лъскава и прозрачна.

рефлектометрия и измерването на разпръскването на отразената от очните тъкани светлина. Измерва се амплитудата и времето на отразената вълна. Прилича на ултрасонографията, но се различава по това, че сканиращите вълни са електромагнитни. Новост в новите скенери е тяхната ангио версия. Тя дава образ на ретиналните съдове и движението на кръвния ток без венозно въвеждане на контрастно вещество.

Новости в профилактиката: Глаукомата, диабетната ретинопатия и макулната

Îñòåîïîðîçàñèìïòîìè è ëå÷åíèå

Завършва медицина в Медицинския университет в

Пловдив през 2014г.Завършва Здравен мениджмънт в

Медицинския университет в Пловдив през 2020г. Придобива специалност Ревматология през май 2021г.

Работи като ревматолог в клиника по ревматология на УМБАЛ „Св. Георги“ ЕАД, гр. Пловдив, ул. „Васил Априлов“ 15 А.

Какво е остеопороза? Първото определение на

повишена чупливост

и риск от фрактури.”

През 2001 година консенсусна конференция на Американския институт по здравеопазване (NIH) допълва определението на остеопорозата: „Костно увреждане, характеризиращо се с нарушена здравина на костите, предразполагащо

индивида към повишен риск от фрактури. Здравината на

костите отразява съчетанието на две основни характеристики: костна плътност и качество на костната тъкан.”

При кого се среща остеопороза?

Смята се, че около 200 милиона души

тиреотоксикоза, хиперкортицизъм, първичен хиперпаратиреоидизъм, захарен диабет, хронична чернодробна недостатъчност и други.

• При прием на медикаменти, повлияващи костната маса –глюкокортикоиди, антиконвулсанти, антипсихотици, щитовидни хормони (в нефизиологични високи дози)

• Медикаменти, препоръчани от медицински специалист.

Избор на медикамент за лечение на остеопороза зависи от

следните фактори:

• Ефективност (вид и големина на антифрактурния ефект).

• Поносимост (странични действия и свързани противопоказания).

• Придружаващи заболявания и свързани противопоказания.

• Цена (фармако-икономически съображения).

• Удобство на приложение (седмично, месечно, интравенозно и други).

Терапевтичните цели се определят на база фрактурния риск

и T-score на бедрената шийка на пациента.

Добавки:

Важно е да запомните, че хранителните добавки, въпреки че

се предлагат навсякъде без рецепта и онлайн, не са

регулирани по същия начин, както лекарствата, отпускани с рецепта. Освен това, въпреки че нещо е „естествено“, това

не означава, че е безопасно за всички по всяко

Приемът на

повече от това количество калций не е доказано,

Има различни идеи относно необходимите нива на витамин D,

Д-р

ïðèåìàìå „àêòèâèðàíè“ âèòàìèíè îò ãðóïà

Д-р Делка Касабова е високо квалифициран специалист невролог с над 25 години медицински опит. Провежда електромиография, електроневрография, електроенцефалография, невросонологични и отоневрологични изследвания. Д-р Касабова започва кариерата си като лекар в Детското отделение на Общинската болница Карлово през 1997г. и

съществени за

на клетките,

като коензими – молекули, които помагат на ензимите да извършват химични реакции. Те са особено важни за превръщането на

въглехидратите, мазнините и белтъчините в енергия,

метаболизъм се забавя значително,

играят критична роля в множество физиологични процеси

римата форма на витамин B1, но

мастноразтворима форма – Бенфотиамин, която е с над 3 пъти подобро усвояване от организма. • Витамин B2 (Рибофлавин) – Рибофлавинът е ключов за поддържането на клетъчната енергия

Дефицитът на рибофлавин може да доведе до арибофлавиноза – състояние, характеризиращо се

Най-добре усвоим е в неговата коензимна форма – Рибофлавин-5фосфат. • Витамин B3 (Ниацин)

доведе до вродени дефекти, като спина бифида и аненцефалия. Освен това, фолиевата киселина участва в метаболизма на хомоцистеин – аминокиселина, която, ако е в повишени нива, може да увеличи риска от сърдечно-съдови заболявания. Метилтетрахидрофолатът е активната метилирана форма на фолиевата

киселина, която тялото може директно да използва. • Витамин B12 (Кобаламин) – Кобаламинът е от решаващо значение за здравето на нервната система, тъй като подпомага производството на миелин – защитната обвивка на нервните влакна. Той също така участва в синтеза на ДНК и е необходим за образуването на червени кръвни клетки. Недостигът на витамин B12 може да доведе до сериозни здравословни проблеми като мегалобластна анемия и неврологични разстройства, включително загуба на памет, деменция и парализа, както и симптоми и усложнения от страна на лигавиците на храносмилателния тракт. Метилкобаламин и аденозилкобаламин са активните форми на витамин B12, които се използват директно от тялото, за разлика от неактивната форма цианкобаламин, която трябва да бъде преобразувана на няколко етапа, преди да се превърне в активна форма в организма.

Защо да изберем „Активиран В-комплекс на Натроцевтика”? 1. Той е „Активиран” Активираният В-комплекс на Натроцевтика предлага значителни предимства пред обикновените форми на В-комплекс, благодарение на своята формула, която съдържа всички 8 витамина от група B в активната им коензимна форма. Това означава, че тези витамини могат да бъдат директно усвоени от организма без

или метаболитни нарушения, които затрудняват преобразуването на неактивни форми на витамините в активни. Например, както споменахме по-горе, около 10-15% от населението има дефект в гена MTHFR, който отговаря за метилирането на фолиевата киселина – витамин B9 и витамин B12, което означава, че тези хора не могат ефективно да използват неактивните форми на

2. Той е липозомен Липозомните технологии

Инхалаторната терапия е медицинска процедура, при която медикаменти се доставят директно до белите дробове под формата на аерозол Този метод на лечение е широко разпространен при заболявания на дихателните пътища като астма, хронична обструктивна белодробна болест (ХОББ), бронхит и пневмония. Неговите предимства са много, като включват бързо действие на медикаментите, минимизиране на страничните ефекти и удобство при употреба.

Защо инхалаторната терапия е толкова ефективна? Една от основните причини инхалаторната терапия да бъде предпочитана е бързината, с която медикаментът достига до белите дробове. Когато човек приема

LACTOFLOR BIOPLUS

Д-р

Ôèçèîëîãè÷íè „êèñòè” èëè
äîáðîêà÷åñòâåíè òóìîðè íà ÿé÷íèêà –êàê äà ãè ðàçëè÷èì?

лог, практикуващ в Центъра по Майчино-Фетална

тел. 0876 222 711. Прочетете повече на: http://pregnancy.bg/

Скъпи дами, в тази статия ще разгледам

пропускате. Туморите на яйчниците представляват

но няма да бъде предмет на тази статия. Ще се фокусирам

структура Погрешна

(доминантен фоликул и жълто тяло) също да се наричат със

Марияна

Ðàáîòè ëè âåñòèáóëàðíèÿò

àïàðàò íà âàøåòî äåòå? Ó÷åíåòî çàâèñè îò òîâà.

Марияна Табакова-Боева е специалист по ранно детско развитие и преподавател-експерт в Киндиру Пловдив Южен.

Работи с бебета и деца на възраст от 6 седмици до 7

години. За нея е важно децата да преминават през фазите

на развитие както и когато трябва и ако се забелязват някои

за функциониране

косвено, вестибуларната

със свръхактивна

вестибуларна система могат да бъдат насърчавани да участват в

бавно люлеене, бавни линейни движения като седене в кутия и

дърпане в една посока, линейно ходене или линейни движения като плуване, скачане на батут и практикуване на промяна на

движението по време на танц Децата с недостатъчно активна вестибуларна система могат да

бъдат насърчавани да се въртят, люлеят, скачат на батут, ускоряват или забавят чрез тичане на зиг-заг около конуси, люлеене, преобръщане и търкаляне.

Липсата на физическа

2. Ограниченото съдействие от малките деца.

3. Трудно постигане на обезболяване преди манипулация,

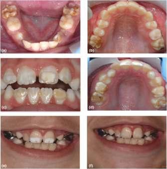
между преждевременно родените деца, както и някои пре- и постнатални

околната среда, кърменето и използването на флуориди. Болести като пневмония, астма, инфекции на уринарния тракт, варицела са свързвани също с развитието на МИХ. Използването на

Снимка: Helen D. Rodd, Anna Graham, Niecoo Tajmehr, Laura Timms, Noren Hasmun (International Dental Journal, Август 2021). Molar Incisor Hypomineralisation: Current Knowledge and Practice.

Îðàëíà õèãèåíà:

Íàé-âàæíèòå ñòúïêè è ìèòîâå, êîèòî òðÿáâà äà çíàåì

неща. Искаме да научим подрастващите от рано, за да им стане

навик, и когато имат по-интересни занимания, да се

придържат към вече изградените навици. Разбира се, на най-малките трябва да се

загуба на зъби.

Кои са митовете за това как можем да „лекуваме“ сами

зъбите си вкъщи?

• Чесънът в екстракционна рана не може да замести

изписания антибиотик след усложнено вадене на зъб.

• Ако слагате синя слива при фистула, няма да си

спестите кореновото лечение на зъба.

• Жабуренето с ракия не тушира зъбната болка! За сметка

това пък изсушава лигавицата, което я прави податлива на образуването на преканцерози.

• Содата не избелва зъбите ви, а по-скоро изтрива емайла.

Какво не знае, а

Èçðàñòâàéêè

ñ àëêîõîëèçúì èëè

íàðêîìàíèÿ: Êàê äà ñå ñïðàâèì ñ åìîöèîíàëíèòå ïîñëåäèöè?

Потърсете професионална помощ

Професионалната помощ може да бъде изключително полезна за

дете, което е израснало в семейство с алкохолик или наркоман. Терапевти и психолози, специализирани в работата с деца и

юноши, могат да предложат безопасна и подкрепяща среда, в която детето може да изрази чувствата си, да получи насоки и да научи начини за справяне със стреса и тревожността. Когнитивноповеденческата терапия (КПТ) и игровата терапия

Евелина Чанева е психолог, специалист по ранно детско развитие и сертифициран биофийдбек терапевт. Има интереси и опит във възрастовата, педагогическа и социална психология.

им по въпроси за развитието, емоционална интелигентност

ñàìîòàòà?

преживяват самотата? Самотата е болезнено чувство и

самота изпразва живота от неговия смисъл, затваря перспективата за бъдещето и затруднява

само, но това

че то

преживяване, което е свързано с чувството на отделеност и тя

обхваща мислите, чувствата и поведението Детето, което

изпитва самота, е склонно към самообвинение и неувереност във връзките си с

връзки с връстниците.

Как да разберем дали детето ни чувства самота? Ако детето ви казва, че се чувства самò, често

които пораждат облекчение или разочарование.

Разбирането на чувствата на другите предполага и чувствителност към смесените чувства. Децата започват да осъзнават, че

емоциите могат да бъдат предизвикани не само от ситуационни

променливи, но и от вътрешни състояния. Още от най-рано

детето е способно да преживява едновременно две противопо-

ложни емоции. Открива се ясна последователност в развитието на способността за разбиране на конфликтни емоции и тя се

разделя на няколко стадия:

• Първи стадий: най-малките деца не могат да опишат ситуация, която обединява едновременно две различни емоции; те

описват ситуации, пораждащи само една емоция.

• Втори стадий: 5-6-годишни деца могат да опишат ситуации,

които съдържат повече от една емоция, но ако са от същия тип.

Например: „Аз бях ядосан и полудял, когато видях, че брат ми

отново е взел моите неща.“

• Трети стадий: 8-9-годишни деца могат да опишат ситуации,

които причиняват едновременно две емоции. Например: „Беше

решавате

Източници: Рубин, 1989; Люис, 1989; Борк, 1971; Харис, 1989; Хартър С.,1989; Трабасо, Стейн и Джонсън, 1981; Мъроуни, Тр. 2007; Стаматов, Р. 2012;

Êîïðîôàãèÿ

ïðè êó÷åòàòà

Д-р Иван Марков е с над 20 години опит като ветеринар. Можете да се свържете с него на тел. 0882022695

Не е приятна гледка да видите кучето си да яде изпражнения (копрофагия) с ентусиазъм и апетит, но напоследък това е често срещано оплакване сред собствениците на кучета. Това поведение е нормално при кърмещи кучки, които го правят, за да поддържат мястото на отглеждане и бебетата чисти. То се среща понякога

дезоксихоловата киселина. Важно е да разберете, че кучетата имат

вкус

от хората.

отблъскващо за нас, може да бъде привлекателно за тях. Разбира се, това поведение се превръща в проблем, ако вашето куче е мъжко или женско (без малки) и го показва редовно дори в зряла възраст. Копрофагията води до стомашно-чревен дистрес, заразяване с паразити, улеснява предаването на инфекциозни заболявания и отвращава собственика. Първата и основна причина кучето да яде чужди или собствените си изпражнения се крие в неговия начин на хранене и по-точно

активност;

• Панкреатична недостатъчност;

• Инфекциозни чревни заболявания;

• Синдром на малабсорбция;

• Прехранване (особено при диета с високо съдържание на мазнини)

заразяване с паразити.

Друг риск е, че някои от болестите, които вашето куче може да

получи от ядене на изпражнения, могат да бъдат предадени и

на хората. Тези така наречени зоонози могат да представляват

заплаха за здравето на цялото ви семейство, особено за тези с

отслабена имунна система и малки деца. Има няколко зоонозни заболявания, които могат да се предават

от кучета на хора. Често срещано, например, е лямблиозата.

Тази инфекция се причинява от паразита Giardia lamblia, който

се намира в изпражненията на заразени кучета. Ако влезете в

контакт с тези изпражнения и погълнете микробите, пренасящи болестта, можете да развиете лямблиоза. Типичните симптоми са диария, коремна болка и гадене. Лептоспирозата е опасна както за кучетата, така и за хората. Това

вас, които спортуват, трябва да бъдат особено внимателни, защото вероятността от травма е голяма, особено в периода на първите 20 дни на месеца. Не се

препоръчва планирането на преходи и екскурзии, свързани с физически натоварвания.

Телец

Независимо че няма да сте в най-добрата си форма, месецът не предполага опасни проявления по отношение на вашето здраве. Тези от вас, които имат

проблеми с хормоните, е възможно да имат обостряне на симптоматиката във втората половина на месеца. Добре е да направите профилактика

Октомври 2024

е.: 0331/21-138

е.: 0312/366-36

е.: 0886/962-466

е.: 0335/915-15

е: 0876/367-366

е.: 03151/23-64

е.: 03151/30-11

е.: 0877/989-366

е: 0878/566-366

е: 0878/022-366

е.: 03153/21-08

36.6 Тунеа - Боа

36.6 Ценр

36.6 Военна бона

36.6 Иан Вао

36.6 Тонус

36.6 Маря уа

36.6 Ва

36.6 ВМИ

36.6 Мааро

36.6 Ба Кряа

36.6 Панара

36.6 еннра

36.6 Меа Марна

36.6 Побеа - Боа

36.6 усор

36.6 Ноое

36.6 Ре ар

36.6 Ба Роо

36.6 Сбоа аара

36.6 Снче ч

36.6 Трая

36.6 ес ся

36.6 Томо Паа

36.6 Гербер

36.6 SPS

36.6 Уес ар

36.6 Корона

36.6 Проса

бу. Цар Борс III Обене 62

у. Ген. Гуро 6

бу. Хрсо Бое 110

у. Иан Вао 57

ул. Христо Чернопеев 20

бу. Княня Маря уа 12

бу. 6- сеемр 112

у. Вас Аро 44а

бу. Баря 63

у. Вас ес 107

бу. Цар Борс III Обене 22

бу. Баря 103

у. . Самбоо 136, РУМ Хеброс

у. раоа 6

бу. Баря 59

у. “Сна” 8

у. Маеоня 95

е.: 032/626-017

е.: 032/262-035

е.: 032/207-092

е.: 032/260-207

е.: 032/ 644-618

е. 0879/336-366

е. 032/641-270

е: 0889/743-362

е.: 032/941-406

е.: 0876/366-106

е.: 032/941-595

е.: 032/967-164

е.: 0876/366-119

е.: 0876/366-011

е.: 0879/866-366

е.: 0888/618-630

е.: 0876/366-220

е.: 032/673-220

е.: 0876/366-703

е.: 0879/622-366

е.: 0876/366-049

е.: 0877/366-375

е.: 0879/623-366

е.: 0879/306-366

е.: 0878/436-366

е.: 0876/366-103

е.: 0876/366-012

е.: 032/241-085

Turn static files into dynamic content formats.

Create a flipbook
Issuu converts static files into: digital portfolios, online yearbooks, online catalogs, digital photo albums and more. Sign up and create your flipbook.