Carcinoma mammario metastatico HER2 positivo: il ruolo di trastuzumab deruxtecan (Quaderno 2)

Page 1


Quaderno 2

Carcinoma mammario metastatico

HER2 positivo: il ruolo di trastuzumab deruxtecan

Sommario

Caso clinico 1

Efficacia rapida e duratura di trastuzumab deruxtecan nella malattia avanzata

HER2 positiva

Sonia Crocetti 2

Caso clinico 2

Efficacia di trastuzumab deruxtecan in II linea di trattamento nel carcinoma mammario HER2 positivo

Lorena Filomeno 6

Caso clinico 3

Trastuzumab deruxtecan nel carcinoma mammario con malattia ossea: uno sguardo clinico, oltre la radiologia

Elisa Gasparini 12

Caso clinico 4

Paziente con recidiva precoce di carcinoma mammario HER2 positivo

Carlo Alberto Giorgi 16

Caso clinico 5

T-Dxd nel carcinoma mammario metastatico: controllo prolungato e tolleranza

Francesco Giotta 21

Caso clinico 6

Efficacia intracranica di trastuzumab deruxtecan

Marco Gunnellini, Michele Montedoro, Riccardo Ricci 24

Caso clinico 1 Efficacia rapida e duratura di trastuzumab deruxtecan nella malattia avanzata HER2 positiva

Sonia Crocetti

UOC Oncologia, Ospedale Generale Provinciale di Macerata, AST Macerata, Macerata.

Introduzione

Le neoplasie mammarie HER2 positive rappresentano circa il 10-20% delle diagnosi di neoplasia mammaria, sia in stadio precoce che avanzato1. Nel setting avanzato, la sopravvivenza mediana (OS) dei pazienti affetti da neoplasia HER2 positiva negli ultimi anni è aumentata in modo significativo, infatti si è passati dai 39 mesi di sopravvivenza nel 2008, a oltre 50 mesi nel 20132. Lo standard di trattamento in prima linea per i pazienti affetti da neoplasia HER2 positiva in stadio avanzato è rappresentato attualmente dalla combinazione del pertuzumab e trastuzumab con la chemioterapia a base di taxani, secondo i dati derivanti dallo studio randomizzato Cleopatra3. Tale trial ha dimostrato come l’aggiunta del pertuzumab, al trastuzumab e docetaxel, determini un miglioramento significativo della sopravvivenza libera da progressione (PFS) e dell’OS, con una riduzione del rischio di morte del 31%3. In pratica clinica, dopo 6-8 cicli di chemioterapia con docetaxel, se malattia controllata, è pratica comune proseguire il trattamento sistemico con pertuzumab e trastuzumab di mantenimento, associando eventuale ormonoterapia se malattia ormono-responsiva. In caso di progressione di malattia, la seconda linea di trattamento sistemico, ad oggi rimborsata in Italia, è rappresentata dal trastuzumab deruxtecan (T-DXd), anticorpo farmaco-coniugato diretto contro HER2. Tale indicazione deriva dallo studio di fase III multicentrico DestinyBreast 03, che ha confrontato T-DXd (5,4 mg/kg ogni 21 giorni) versus trastuzumab emtansine (TDM-1) (3,6 mg/kg ogni 21 giorni) in 524 pazienti con carcinoma

mammario HER2 positivo non resecabile o metastatico, precedentemente trattati con trastuzumab e taxano nel setting avanzato o ricaduti entro 6 mesi dal termine del trattamento neoadiuvante o adiuvante. Lo studio ha dimostrato un miglioramento della PFS (25,1 mesi vs 7,2 mesi, HR=0,26) e dei tassi di risposta (79,7% vs 34,0%) statisticamente significativo a favore di T-DXd rispetto al TDM-14. Tale vantaggio si è verificato in tutte le popolazioni considerate, inclusi i pazienti con malattia viscerale, con metastasi cerebrali o quelli precedentemente trattati con pertuzumab, ed è risultato indipendente dallo stato dei recettori ormonali4. T-DXd ha pertanto modificato la storia naturale dei pazienti affetti da neoplasia mammaria HER2 positivo avanzata, contribuendo all’allungamento della sopravvivenza complessiva, dimostrando una profonda e rapida capacità di shrinkage tumorale, come mostrato nel caso clinico di seguito esposto.

Presentazione del caso

Il caso è quello di una donna di 57 anni, casalinga, 1 gravidanza a termine, fumatrice di 15 sigarette/die da circa 20 anni, normopeso. Anamnesi personale negativa per comorbidità e pregressi interventi chirurgici, infatti non assume farmaci a domicilio né presenta allergie. Anamnesi familiare negativa per neoplasie mammarie e/o ginecologiche.

A febbraio 2022, per persistenza di turgore a livello mammario sinistro eseguiva biopsia mammaria ecoguidata con esame istologico positivo per carcinoma duttale infiltrante scarsamente differenziato (G3). Caratteri biologici: ER: 1%, PgR <1%, ki67: 30%, HER2: 3+. Veniva pertanto eseguita stadiazione strumentale di malattia con tomografia computerizzata total body con mezzo di contrasto iodato (TC TB con mdc) a febbraio 2022 che mostrava voluminosa formazione espansiva alla mammella sinistra con ispessimento cutaneo, linfoadenomegalie a livello ascellare omolaterale di dimensioni massime pari a 3,5 cm, linfoadenomegalie a livello sottopettorale omolaterale, alle catene mammarie interne bilateralmente, a livello del mediastino superiore e micronoduli polmonari bilaterali sospetti per secondarismi. Veniva segnalata inoltre lesione litica a livello della terza costa di sinistra, confermata alla scintigrafia ossea di stadiazione, eseguita a marzo 2022, mostrante ulteriore captazione a livello sternale.

Trattamenti

A marzo 2022, tenuto conto dello stadio avanzato, la paziente veniva inviata presso il nostro reparto per le cure del caso. All’esame obiettivo si evidenziava una tumefazione mammaria sinistra con sovvertimento in toto della mammella, associata a retrazione del capezzolo, aspetto di cute a buccia d’arancia con teleangectasie, come in quadro di mastite carcinomatosa. Concomitavano linfoadenomegalie ascellari omolaterali di circa 3,5 cm, in assenza di ulteriori reperti toraco-addominali da segnalare. Pertanto lo stadio di esordio di malattia era cT4 cN3 M1 (ripetizioni polmonari, linfonodali ed ossee). Gli esami ematochimici non mostravano alterazioni di rilievo. Alla luce dello stadio avanzato e della biologia di malattia, secondo i dati dello studio Cleopatra, si candidava la paziente a chemioterapia di I linea con docetaxel in associazione a doppio blocco anti-HER2 (pertuzumab e trastuzumab) con cadenza trisettimanale3, previo posizionamento di catetere venoso centrale ed esecuzione di ecocardiogramma, risultato nella norma con frazione di eiezione pari a 65%.

Terapia di I linea

La paziente ha eseguito primo ciclo di terapia con schema docetaxel più pertuzumab più trastuzumab in data 17.03.2022, con buona tolleranza soggettiva e successivo miglioramento clinico graduale del quadro mammario e linfonodale ascellare. Dopo 4 cicli di trattamento, a giugno 2022, la paziente veniva sottoposta a TC TB con mdc di rivalutazione che mostrava una riduzione dimensionale della eteroplasia mammaria sinistra e delle linfoadenomegalie note, associata a stazionarietà dei reperti polmonari ed ossei. Pertanto, tenuto conto della risposta parziale, si candidava la paziente a prosecuzione della terapia in atto per ulteriori 4 cicli, visto il miglioramento clinico-strumentale e la buona tolleranza al trattamento. Ad ottobre 2022, dopo 8 cicli complessivi, veniva ripetuta TC TB con mdc, che ha mostrato un quadro di malattia stabile. Veniva di seguito sospeso il trattamento chemioterapico con docetaxel e la paziente proseguiva il trattamento sistemico con pertuzumab e trastuzumab di mantenimento. Dopo 3 somministrazioni, si assisteva ad un lento ma progressivo peggioramento dell’obiettività locale con incremento dimensionale della massa mammaria sinistra, associata a ricomparsa di eritema e turgore dolente, ed incremento dimensionale delle linfoadenopatie ascellari.

Pertanto a dicembre 2022 si procedeva a ristadiazione locale e sistemica di malattia con esecuzione di ecografia mammaria bilaterale e TC TB con mdc. L’ecografia mammaria, confrontata con precedente analogo di settembre 2022, confermava l’incremento dimensionale, seppur lieve, della lesione mammaria sinistra (38,6 x 28,6 mm vs 37,7 x 20 mm) e minimo incremento dimensionale delle linfoadenopatie ascellari patologiche. La TC TB con mdc, a sua volta, evidenziava un incremento dimensionale di alcuni linfonodi al cavo ascellare sinistro, il maggiore di 10 mm (vs 8 mm ad ottobre 2022), ed un lieve incremento dimensionale della nota lesione primitiva mammaria sinistra di dimensioni massime pari a 39 mm (figura 1), con maggiore evidenza dell’ispessimento cutaneo e sottocutaneo omolaterale.

Stazionari i restanti reperti noti di malattia.

Tenuto conto della progressione clinica e strumentale di malattia, in accordo con le linee guida nazionali, si riteneva indicato sospendere il trattamento in atto e candidare la paziente a terapia sistemica di II linea con trastuzumab deruxtecan (5,4 mg/kg ogni 21 giorni), in accordo con i dati del Destiny-breast 034.

Terapia di II linea

Previo nullaosta cardiologico, la paziente ha iniziato il trattamento di II linea con T-DXd in data 23.12.2022. Già

Figura 1. Progressione di malattia al trattamento di I linea a livello mammario sinistro e linfonodale omolaterale a dicembre 2022.

dopo la prima somministrazione si è assistito ad un notevole miglioramento clinico a livello mammario con riduzione dell’eritema e del turgore mammario e riduzione dimensionale dei linfonodi ascellari omolaterali. La paziente ha riportato come effetto collaterale principale dopo il primo ciclo nausea di grado 2, trattata con beneficio con terapia sintomatica ed astenia di grado 1. Agli esami ematochimici evidenza di anemia di grado 1, in assenza di altre alterazioni di rilievo. Pertanto si proseguiva con il trattamento sistemico, mantenendo dose piena e cadenza trisettimanale. Ad aprile 2023, dopo 5 cicli di trattamento associati a progressivo miglioramento del quadro locale di malattia, è stata eseguita rivalutazione strumentale con TC TB con mdc con conferma di riduzione dimensionale della lesione mammaria sinistra e dell’edema cutaneo e sottocutaneo associato, riduzione dimensionale delle linfoadenomegalie ascellari omolaterali, e stazionarietà dei restanti reperti. Obiettivamente non più evidente quadro di mastite carcinomatosa, non eritema, non cute a buccia d’arancia né teleangectasie, non palpabili linfonodi ascellari. Alla luce della risposta parziale ottenuta, si candidava la paziente a prosecuzione del trattamento sistemico con T-DXd. Dopo 10 cicli complessivi di trattamento, a luglio 2023 ripeteva TC TB con mdc con evidenza di ulteriore riduzione dimensionale della le -

Figura 2. Risposta parziale di malattia al trattamento di II linea a livello mammario sinistro con riduzione dimensionale della lesione eteroplasica (17 mm vs 39 mm) e riduzione dell’ispessimento cutaneo e sottocutaneo.

sione mammaria sinistra (dimensioni massime 17 mm), invariati i restanti reperti (figura 2). Proseguiva pertanto il trattamento con ottima tolleranza soggettiva. Le successive rivalutazioni strumentali con TC TB con mdc di dicembre 2023 e giugno 2024 hanno confermato la stabilità del quadro di malattia. Tale stabilità strumentale si è associata ad una stabilità del quadro clinico e del monitoraggio cardiologico, eseguito ogni 3 mesi, con invarianza della frazione di eiezione. Dal punto di vista degli effetti collaterali, la paziente ha presentato nausea g1 ad astenia g1. Al momento della stesura del caso clinico, la paziente sta ancora proseguendo, con ottima tolleranza soggettiva, il trattamento sistemico di II linea con T-DXd, di cui ha eseguito 23 somministrazioni, riportando ad oggi una PFS pari a 19 mesi.

Discussione e conclusioni

Il trattamento con T-DXd nella malattia avanzata HER2 positiva ha profondamente modificato la pratica clinica, dimostrandosi come opzione terapeutica efficace e sicura in termini di tossicità. Relativamente all’efficacia, una recente metanalisi ha riportato come T-DXd sia correlato a PFS comprese tra 11 e 22 mesi, e tassi di risposta compresi tra il 37% e 79,9%, in linea con il caso clinico presentato5. Nel caso clinico inoltre tale risposta è stata raggiunta in modo rapido, considerando che già dopo il primo ciclo di terapia il quadro clinico era notevolmente migliorato, e si è mantenuta nel tempo. Relativamente alle tossicità, la paziente ha presentato come effetti collaterali nausea ed astenia, in accordo con i dati di letteratura4,6. Nello studio Destiny-Breast 03 la nausea si è verificata nel 72% dei casi e la fatigue nel 44,7% 4. Le linee guida internazionali, tenuto conto del moderato potere emetizzante di T-DXd, raccomandano l’uso di profilassi anti-emetica con triplice terapia e consigliano esercizio fisico ed interventi di psicoterapia per la gestione della fatigue [6]. Tali accorgimenti sono stati applicati per la paziente in esame, permettendo la prosecuzione del trattamento senza riduzioni di dosaggio. In ultimo, l’analisi dei patient-reported outcomes (PRO) dei pazienti inclusi nello studio Destiny-Breast 03, ha evidenziato come non ci sia differenza in termini di qualità di vita tra i due bracci di trattamento, riportando un tasso di riduzione del dolore ed allungamento del tempo alla prima ospedalizzazione a favore di T-DXd 7. A conferma di ciò, nel caso clinico riportato, la paziente ha sperimentato una ridu-

zione della sintomatologia dolorosa associata alla patologia mammaria come effetto della risposta al trattamento, mantenendo un’ottima qualità di vita. In conclusione, il caso clinico esposto ha evidenziato come T-DXd rappresenti per la malattia HER2 positiva un’opzione terapeutica dotata di efficacia rapida, profonda e duratura, a fronte di un profilo di tossicità gestibile, garantendo un’ottima qualità di vita.

Bibliografia

1. Howlader N, Altekruse SF, Li CI, et al. US incidence of breast cancer subtypes defined by joint hormone receptor and HER2 status. J Natl Cancer Inst 2014;106(5): dju055.

2. Grinda T, Antoine A, Jacot W, et al. Evolution of overall survival and receipt of new therapies by subtype among 20 446 metastatic breast cancer patients in the 2008-2017 ESME cohort. ESMO Open 2021; 6(3): 100114.

3. Swain SM, Miles D, Kim SB, et al.; CLEOPATRA study group. Pertuzumab, trastuzumab, and docetaxel for HER2-positive metastatic breast cancer (CLEOPATRA): end-of-study results from a double-blind, randomised, placebo-controlled, phase 3 study. Lancet Oncol 2020; 21(4): 519-530.

4. Cortés J, Kim SB, Chung WP, et al.; DESTINY-Breast03 Trial Investigators. Trastuzumab Deruxtecan versus Trastuzumab Emtansine for Breast Cancer. N Engl J Med 2022; 386(12): 1143-1154.

5. Dowling GP, Daly GR, Keelan S, et al. Efficacy and Safety of Trastuzumab Deruxtecan in Breast Cancer: A Systematic Review and Meta-Analysis. Clin Breast Cancer 2023; 23(8): 847-855.e2.

6. Rugo HS, Bianchini G, Cortes J, et al. Optimizing treatment management of trastuzumab deruxtecan in clinical practice of breast cancer. ESMO Open 2022; 7(4): 100553.

7. Curigliano G, Dunton K, Rosenlund M, et al. Patientreported outcomes and hospitalization data in patients with HER2-positive metastatic breast cancer receiving trastuzumab deruxtecan or trastuzumab emtansine in the phase III DESTINY-Breast03 study. Ann Oncol 2023; 34(7): 569-577.

Indirizzo per la corrispondenza: Sonia Crocetti

UOC Oncologia, Ospedale Generale Provinciale di Macerata, AST Macerata, Macerata

Via Santa Lucia n. 2, 62100, Macerata (MC), crocetti.sonia16@gmail.com

Caso clinico 2

Efficacia di trastuzumab

deruxtecan in II

linea di trattamento nel carcinoma mammario

HER2 positivo

Lorena Filomeno

UOSD Sperimentazioni Fase IV, IRCCS Istituto Nazionale

Tumori Regina Elena, Roma

Introduzione

In Occidente il carcinoma mammario è il tumore maligno più diffuso nelle donne, con circa il 13% delle donne a rischio di diagnosi nel corso della vita1. In circa il 15-20% dei casi il carcinoma mammario esprime il recettore per il fattore di crescita epidermico umano (HER2), connotazione di aggressività biologica particolarmente spiccata2. Prima dello sviluppo delle terapie anti-HER2, questo sottotipo di malattia era associato a tassi di recidiva più elevati e sopravvivenza globale inferiore rispetto ai tumori al seno HER2 negativi. L’avvento di farmaci mirati anti-HER2 è risultato di fondamentale importanza per il trattamento della malattia sia in fase iniziale sia in fase metastatica. L’introduzione nella pratica clinica di agenti terapeutici quali anticorpi monoclonali, anti-HER2, anticorpi farmaco coniugati (ADC) e inibitori tirosin-chinasici (TKI) ha migliorato la prognosi delle pazienti affette da carcinoma mammario HER2 positivo, ritardando le progressioni di malattia e aumentando la sopravvivenza globale. Il peculiare caso clinico di seguito discusso ha come obiettivo quello di mettere in risalto le caratteristiche biologiche aggressive della malattia HER2 positiva anche negli stadi più precoci. Al contempo, evidenzia l’efficacia dei farmaci anti-HER2, anche e soprattutto del più moderno ADC di ultima generazione, trastuzumab deruxtecan (T-DXd), aumentando in maniera significativa la sopravvivenza delle pazienti con carcinoma mammario HER2 positivo in fase avanzata, preservandone la qualità di vita.

Caso clinico

La Signora PP è una paziente di 48 anni alla diagnosi, in premenopausa. In anamnesi, tiroidite di Hashimoto in terapia sostitutiva con levotiroxina. Nel maggio 2006, diagnosi radiologica di neoformazione a carico della mammella sinistra, per cui la paziente veniva sottoposta ad intervento chirurgico di mastectomia sinistra ed asportazione del linfonodo sentinella. L’esame istologico deponeva per esteso carcinoma intraduttale di alto grado con multipli focolai di microinfiltrazione. Il linfonodo sentinella risultava esente da metastasi. TNM: pT1mic (m) pN0 (sn) Mx; all’immunoistochimica ER 50% PgR neg HER2 positivo Ki67 5%. Dopo l’intervento chirurgico non è stata somministrato alcun trattamento adiuvante, se non terapia endocrina adiuvante con tamoxifene per 5 anni.

Nel maggio 2018 la paziente lamentava comparsa di tosse e dispnea per cui eseguiva TAC torace che mostrava esteso versamento pleurico a destra, per il quale si sottoponeva a toracentesi. L’esame citologico effettuato sul liquido pleurico documentava quadro citomorfologico come da carcinoma compatibile con primitività mammaria con le seguenti caratteristiche immunoistochimiche: ER positivo PgR negativo e HER2 positivo 3+.

Nel luglio 2018, una PET total body con FDG dimostrava iperfissazione patologica a livello scheletrico in più sedi, micronodularità polmonari e versamento pleurico a destra.

La paziente veniva avviata a trattamento chemioterapico di I linea secondo lo schema docetaxel pertuzumab trastuzumab, ottenento una risposta parziale al trattamento alla successiva rivalutazione di malattia dopo 6 cicli.

Dal gennaio 2019, si sottoponeva a terapia di mantenimento con pertuzumab trastuzumab a frequenza trisettimanale, in associazione a terapia endocrina con inibitori dell’aromatasi. La paziente avviava, inoltre, terapia anti-riassorbitiva per osso.

Nel giugno 2020, una PET total body con FDG documentava risposta metabolica completa al trattamento in corso.

La paziente, quindi, proseguiva terapia di mantenimento con successive rivalutazioni strumentali che confermavano la risposta completa al trattamento.

Nel luglio 2022, un’ulteriore PET total body con FDG segnalava la comparsa di iperfissazione focale a livello dell’emisoma destro di D9, in corrispondenza di altera-

zione osteostrutturale di tipo addensante (SUVmax= 4,6) nonchè a carico della branca ileo-pubica di sinistra (SUVmax= 4,0) sospetta per ripresa di malattia.

Nel settembre 2022, si sottoponeva a trattamento radioterapico in 3 sedute da 10 Gray (Gy) ciascuna, per una dose totale 30 Gy, sulla vertebra D9 e branca ilio pubica di sinistra; proseguiva il trattamento sistemico con pertuzumab trastuzumab.

Nel novembre 2022, una PET total body con FDG documentava ripresa di malattia al livello dello scheletro assile e appendicolare in più sedi, a livello polmonare bilateralmente, pleurico a destra e linfonodale.

Nel dicembre 2022, la paziente avviava trattamento di II linea con T-DX.

Nel marzo 2023, una PET total body con FDG documentava risposta metabolica completa a livello pleurico e linfonodale e risposta metabolica parziale a livello scheletrico e polmonare

Nel giugno 2023, una PET total body con FDG deponeva per risposta metabolica a livello scheletrico, con residuo di malattia metabolicamente attiva a livello dell’ala sacrale sinistra e risposta metabolica completa a livello polmonare.

Nel dicembre 2023, una PET total body con FDG risposta metabolica completa al trattamento. (figura 1-4)

La paziente prosegue trattamento con T-DXd con frequenza trisettimanale, mantenendo una buona qualità di vita.

Discussione

Il carcinoma mammario è una malattia eterogenea, che si classifica principalmente in quattro sottotipi, definiti in base alle caratteristiche istologiche e molecolari. Il carcinoma mammario invasivo che esprime l’HER2 è un sottotipo a prognosi più sfavorevole, principalmente a causa del comportamento aggressivo e dell’alto potenziale metastatico. I dati della letteratura inerenti al ruolo prognostico della sovraespressione di HER2 nei carcinomi mammari microinfiltranti sono spesso discordanti. In generale la prognosi è eccellente, similarmente al carcinoma in situ. Tuttavia il reale potenziale di metastatizzazione non è ancora chiaro3,4. Sono rari i casi di carcinoma della mammella microinfiltrante HER2 positivo che recidivano localmente ed aneddotici quelli con comparsa di metastasi a distanza5. La sovraespressione di HER2 gioca comunque un ruolo prognostico importante nella storia delle pazien-

ti affette da carcinoma della mammella e negli anni la continua ricerca di terapie mirate anti-HER2 ha apportato un miglioramento significativo degli outcome di sopravvivenza in questo sottogruppo di pazienti. Nel 1998 l’approvazione del trastuzumab, primo anticorpo monoclonale anti HER2 per il trattamento del carcinoma della mammella HER2 positivo, ha rivoluzionato il panorama terapeutico della patologia mammaria HER2-positiva6. Negli anni successivi, lo scenario terapeutico si è rapidamente arricchito di terapie innovative mirate a questo specifico sottotipo di carcinoma mammario. Attualmente, il trattamento standard di prima linea per le pazienti con carcinoma mammario metastatico HER2 positivo è costituito da docetaxel in associazione agli anticorpi monoclonali pertuzumab e Trastuzumab. I risultati dello studio CLEOPATRA dimostrano che la combinazione del docetaxel ai due agenti biologici è associata ad un significativo incremento della sopravvivenza globale da 40,8 a 56,6 mesi rispetto alla sola combinazione di docetaxel e trastuzumab, a fronte di un minimo peggioramento del profilo di tossicità7,8. Successivamente, la comprensione dei meccanismi molecolari di resistenza delle cellule tumorali HER2 positive ai farmaci già in uso, insieme ai miglioramenti tecnologici, ha portato allo sviluppo di terapie ancora più mirate: gli anticorpi-farmaco coniugati (ADC). Questi farmaci integrano la specificità degli anticorpi monoclonali con il potere di agenti citotossici, noti anche come “payloads”, utilizzando specifici linker. Il trastuzumab emtansine (T-DM1) è stato il primo ADC diretto contro HER2 a ricevere l’approvazione dalle varie agenzie regolatorie internazionali e nazionali per il trattamento del carcinoma della mammella metastatico HER2 positivo. Dal 2014 il T-DM1, sulla scorta dei dati dello studio EMILIA, ha cavalcato la scena del trattamento di II linea di pazienti adulti affetti da tumore mammario HER2-positivo, inoperabile, localmente avanzato o metastatico, sottoposti in precedenza a trattamento con Trastuzumab e un taxano9. Ad oggi, lo standard terapeutico di II linea è cambiato con la recente approvazione del T-DXd, ADC di nuova generazione che ha rivoluzionato la pratica clinica del carcinoma mammario metastatico. T-DXd è un anticorpo monoclonale IgG1 umanizzato, mirato contro HER2, legato ad un payload inibitore della topoisomerasi I (DXd) mediante un linker scindibile tetrapeptidico. T-DXd possiede un rapporto farmaco-anticorpo notevolmente più elevato rispetto a T-DM1 che contri-

buisce alla sua potente efficacia. Inizialmente l’efficacia di T-DXd è stata valutata nello studio registrativo di fase II DESTINY-Breast01 nei pazienti con carcinoma mammario HER2 positivo non resecabile o metastatico fortemente pretrattate e che avevano già ricevuto terapia con T-DM1. I risultati dello studio DESTINY-Breast01 hanno supportato le approvazioni normative a livello mondiale di T-DXd per l’uso in pazienti con malattia progredita a due o più linee di terapie precedenti10. Nello studio di fase III DESTINY-Breast02, T-DXd è stato valutato come terapia di terza linea, a progressione da T-DM1, rispetto al trattamento con capecitabina e lapatinib o capecitabina e trastuzumab nelle pazienti con carcinoma mammario in stadio avanzato HER2

positivo, dimostrando un notevole miglioramento nel ritardare le progressioni di malattia (PFS) 11. Dopo aver evidenziato i benefici in terza linea, l’indicazione per T-DXd è stata estesa ai pazienti adulti con carcinoma mammario HER2 positivo metastatico che hanno ricevuto un trattamento con un precedente regime antiHER2 per malattia metastatica o che hanno sviluppato una recidiva di malattia durante o entro 6 mesi dal completamento della terapia adiuvante. Questa approvazione si è basata sui risultati dello studio randomizzato di fase III DESTINY-Breast03 che ha confrontato T-DXd con T-DM1 in seconda linea in pazienti che avevano precedentemente ricevuto chemioterapia a base di taxani e Trastuzumab +/- Pertuzumab (il 62% dei

Figura 1-4. Confronto immagini PET total body con FDG novembre 2022 – dicembre 2023. 1 3 2 4

pazienti era stato precedentemente trattato anche con pertuzumab). Lo studio ha dimostrato miglioramenti statisticamente significativi della PFS e ottenuto sostanziali miglioramenti nei tassi di risposta obiettiva (ORR) e nella sopravvivenza globale (OS)12 (figure 5 e 6). Negli studi clinici, in particolare nello studio DESTINYBreast03, gli eventi avversi indotti da T-DXd sono risultati gestibili ed il trattamento è stato complessivamente ben tollerato. Gli eventi avversi più frequentemente riscontrati sono stati gastrointestinali, nausea e vomito, e astenia. La maggior parte degli eventi avversi con grado ≥3 erano ematologici; la malattia polmonare interstiziale (ILD)/polmonite correlata al farmaco si è verificata nel 10,5% dei pazienti trattati con T- DXd con grado ≤3 ed è stata numericamente inferiore rispetto agli studi precedenti dimostrando l’importanza dell’attento monitoraggio clinico (tabella 1). Il beneficio del trattamento con T-DXd e il buon profilo di tossicità è stato dimostrato anche dai patient-reported outcomes (PRO) dello studio DESTINY-Breast03 rilevando come lo stato di salute generale e la qualità di vita vengano mantenuti in corso di trattamento con T-DXd13.

Conclusioni

Il caso clinico presentato è esemplificativo di come l’introduzione nella pratica clinica di terapie sempre più mirate, frutto della comprensione dei meccanismi molecolari di resistenza ai farmaci già in uso, consenta un miglioramento significativo degli outcome di sopravvivenza anche nelle pazienti con malattia mammaria metastatica biologicamente e clinicamente più aggressiva. Il nuovo e sempre più efficace armamentario terapeutico per la gestione delle pazienti affette da neoplasia mammaria metastatica, in grado di preservare anche una buona qualità di vita, sarà per la ricerca scientifica da ispirazione a perseguire trattamenti ancora più efficaci e precisi.

Bibliografia

1. SEER. Female Breast Cancer—Cancer Stat Facts. Accessed July 25, 2023. https://seer.cancer.gov/ statfacts/html/breast.html

2. Slamon DJ, Clark GM, Wong SG, et al. Human breast cancer: Correlation of relapse and survival with amplification of the HER-2/neu oncogene. Science 1987; 235: 177-182.

Tabella 1. Eventi avversi più comuni correlati al farmaco e malattia polmonare intestiziale o polmonite giudicata correlata al farmaco12.

Figura 5. Analisi di Kaplan-Meier e analisi di sottogruppo della sopravvivenza libera da progressione12.

A Progression-free survival

Censor

Trastuzumab derux tecan (n=261)

Trastuzumab emtansine (n=263)

Number at risk

Trastuzumab derux tecan

Trastuzumab emtansine

B Progression-free survival in prespecified

subgroups

Trastuzumab derux tecan

Trastuzumab emtansine

Stable brain metastases

Figura 6. Prima analisi ad interim della sopravvivenza globale12.

Number at risk

Trastuzumab derux tecan

Trastuzumab emtansine

Censor

Trastuzumab derux tecan (n=261)

Trastuzumab emtansine (n=263)

Trastuzumab derux tecan

Trastuzumab emtansine

NE (NE-NE)

Hazard ratio for death, 0.55 (95% CI, 0.36-0.86)

P=0.007

(80.9-89.7)

3. Lee SY, Yoo TK, Kim J, et al. Clinical significance of microinvasive breast cancer across the different subtypes and human epidermal growth factor receptor 2 expression levels. Breast Cancer Res Treat 2023; 200(1): 47-61.

4. Song G, Zhang Y. Clinicopathological characteristics, treatments, and prognosis of breast ductal carcinoma in situ with microinvasion: A narrative review. Chronic Dis Transl Med 2022; 9(1): 5-13.

5. Kuhar CG, Matos E. Human epidermal growth factor receptor 2-positive microinvasive breast carcinoma with a highly aggressive course: a case report. BMC Res Notes 2014; 7: 325.

6. Slamon DJ, Leyland-Jones B, Shak S, et al. Use of chemotherapy plus a monoclonal antibody against HER2 for metastatic breast cancer that overexpresses HER2. N Engl J Med 2001; 344: 783-792.

7. Swain SM, Kim SB, Cortes J, et al. Pertuzumab, trastuzumab, and docetaxel for HER2-positive metastatic breast cancer (CLEOPATRA study): overall survival results from a randomised, double-blind, placebo-controlled, phase 3 study. Lancet Oncol 2013; 14(6): 461-471.

8. Swain SM, Miles D, Kim SB, et al. Pertuzumab, trastuzumab, and docetaxel for HER2-positive metastatic breast cancer (CLEOPATRA): end-of-study results from a double-blind, randomised, placebo-controlled, phase 3 study. Lancet Oncol 2020; 21(4): 519-530.

9. Verma S, Miles D, Gianni L, et al. Trastuzumab emtansina per carcinoma mammario avanzato HER2-positivo. N Engl J Med 2012; 367: 1783-1791.

10. Modi S, Saura C., Yamashita T, et al. Trastuzumab deruxtecan in previously treated HER2-positive breast cancer. N Engl J Med 2020; 382(7): 610–621.

11. André F, Park YH, Kim SB, et al. Trastuzumab deruxtecan versus treatment of physician’s choice in patients with HER2-positive metastatic breast cancer (DESTINY-Breast02): a randomised, open-label, multicentre, phase 3 trial. Lancet 2023; 401: 1773-85.

12. Cortés J, Kim S.B, Chung WP, et al. Trastuzumab deruxtecan versus trastuzumab emtansine for breast cancer. N Engl J Med 2022; 386(12): 1143-1154.

13. Curigliano G, Dunton K, Rosenlund M, et al. Patientreported outcomes from DESTINY-Breast03, a randomized phase 3 study of trastuzumab deruxtecan (T-DXd) vs trastuzumab emtansine (T-DM1) in patients with HER2-positive metastatic breast cancer. Presented at ESMO Breast Cancer 2022. May 3-5, 2022.

Dichiarazione dei conflitti di interesse: Lorena Filomeno segnala rapporti di collaborazione con Eisai e Gentili

Indirizzo per la corrispondenza: Dr.ssa Lorena Filomeno UOSD Sperimentazioni di Fase IV IRCCS Istituto Nazionale Tumori Regina Elena E-mail: lorena.filomeno@ifo.it

Caso clinico 3

Trastuzumab deruxtecan nel carcinoma mammario con malattia ossea: uno sguardo clinico, oltre la radiologia

Introduzione

A seguito della recente pubblicazione dei dati del trial multicentrico DESTINY-Breast03 lo standard di cura di seconda linea del carcinoma mammario HER2-positivo è cambiato: vi è ora l’indicazione all’impiego di trastuzumab deruxtecan, che si è dimostrato in grado di migliorare la sopravvivenza libera da progressione e il tasso di risposta della malattia rispetto al trattamento con trastuzumab emtansine (T-DM1), che finora ha rappresentato lo standard di terapia.

I dati dello studio sono stati accolti con grande entusiasmo dalla comunità scientifica e tante sono le pazienti ora trattate secondo questo schema di cura. Particolare attenzione va posta al significativo miglioramento della qualità, dovuto al miglior controllo di malattia, che Trastuzumab deruxtecan ha dimostrato1. In particolare l’alto carico di malattia ossea, con conseguente dolore e impotenza funzionale, porta le pazienti ad un rapido e significativo peggioramento della qualità di vita: controllare la malattia ossea spesso significa migliorare il performance status, controllare il dolore e restituire autonomia alla paziente.

Presentazione del caso

Ad agosto 2017, GD è una giovane donna di 40 anni, senza significative copatologie anamnestiche e priva di familiarità oncologica di rilievo.

Ad agosto 2017, a seguito dell’autoriscontro di un nodulo mammario, è stata sottoposta ad accertamenti

eco mammografici che hanno condotto alla diagnosi di Carcinoma duttale infiltrante (CDI) di grado 2 della mammella sinistra, in stadio II (cT2N0M0), HER2 amplificata, con Ki-67 del 60%, negativa la ricerca dei recettori per estrogeno e progesterone.

In considerazione dello stadio e delle caratteristiche biologiche di malattia viene posta indicazione a terapia neoadiuvante con antracicline, taxani e trastuzumab. GD completa il trattamento, che viene ben tollerato, a febbraio 2018.

Dopo esami di ristadiazione viene sottoposta a mastectomia sinistra e asportazione del linfonodo sentinella omolaterale. L’istologico definitivo documenta una buona ma non completa risposta alla terapia neoadiuvante, con residuo di CDI G2 ypT1a N1miM0.

Viene proseguito trattamento con trastuzumab 6 mg/ kg trisettimale, fino a completare un anno di terapia come da linee guida e successivamente viene avviata a periodico follow-up.

A marzo 2020 GD giunge alla nostra attenzione con evidenza di area di addensamento cutaneo in sede di pregressa mastectomia. La biopsia cutanea conferma il sospetto di recidiva di malattia. All’istologico, infatti, vi è evidenza di “infiltrato dermico di carcinoma di origine mammaria, con amplificazione di HER2, negativa l’espressione dei recettori per estrogeno e progesterone, Ki.67 pari al 30%”.

GD viene sottoposta a esami di restaging (TAC, PET e RMN epatica a completamento), dai quali emerge la presenza di una singola metastasi epatica.

Viene quindi proposto e avviato un trattamento di I linea sec. Studio CLEOPATRA (trastuzumab, pertuzumab e docetaxel), con netta risposta radiologica della lesione epatica, che risulta ai limiti della significatività dopo i primi 6 cicli di trattamento.

Nel novembre 2020 in considerazione del quadro oligomestastatico e della netta risposta epatica, la paziente viene avviata a intervento chirurgico di asportazione della recidiva locale. All’esame istologico definitivo emerge “microfocolaio residuo di carcinoma duttale infiltrante di origine mammaria”. Il caso viene collegialmente discusso e, alla luce della risposta radiologica epatica pressoché completa, viene indicata ed eseguita radioterapia locale e proseguito trattamento con trastuzumab e pertuzumab di mantenimento.

Ad aprile 2023 GD riferisce l’insorgenza di dolori ossei diffusi, rapidamente ingravescenti ed invalidanti, in par-

ticolare al bacino, con difficoltà nella deambulazione. Vengono quindi eseguiti esami di restaging con evidenza di multiple lesioni ossee.

In particolare, GD viene sottoposta a

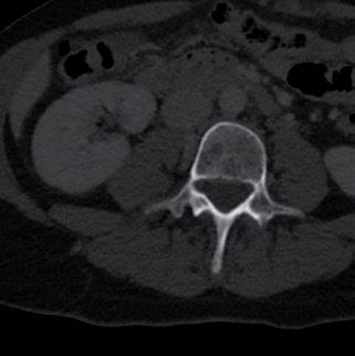
„ TAC torace e addome con mdc (figura 1): negativa per lesioni viscerali. Comparsa di alcune areole osteolitiche, di significato ripetitivo, a carico dell’emisoma destro di L4, all’ala iliaca di sinistra (la maggiore a livello della spina iliaca anteriore superiore con erosione della corticale ossea), a livello dell’osso pubico di destra con erosione della corticale ossea ed estensione verso la branca ischiatica omolaterale ed a livello della colonna posteriore dell’acetabolo di destra, con aspetto soffiato ed interrotto della corticale.

„ PET whole body con F18-FDG (figura 2): comparsa di plurime focalità di iperaccumulo del radiofarmaco, che correlano con alterazioni strutturali osteo-litiche diffusamente distribuite a livello dello scheletro, di compatibile natura secondaria. In particolare si documentano patologiche captazioni che interessano: l’emisoma destro di D9 (SUVmax = 5.2), soma e processo trasverso destro di L4 (SUV max = 6,5), arco anteriore della V costa destra (SUV max = 6.1), ileo sinistro (più siti ipermetabolici, con focolai maggiori a livello della spina iliaca superiore - SUV max = 8.6 e acetabolare -SUV max = 8,9) , colonna posteriore dell’acetabolo destro (SUV max = 10.22), pube-ischio destro (SUV max = 7,2) e diafisi femorale destra (SUV max = 7,5).

Trattamento

GD viene avviata a trattamento radioterapico ad intento citoriduttivo/antalgico a carico di femore dx (dose 10 Gy in singola seduta), emibacino sx (dose 10 Gy in singola seduta), ischio dx (dose 10 Gy in singola seduta).

Successivamente, in considerazione della storia clinica e dei trattamenti eseguiti, viene intrapresa terapia con trastuzumab deruxtecan al dosaggio standard di 5,4 mg/kg trisettimale, con rapido e significativo miglioramento clinico.

Decorso clinico

Dopo i primi 3 cicli di trattamento con trastuzumab deruxtecan GD viene sottoposta a TAC torace e addome di rivalutazione (luglio 2023) , che documenta “Incre -

mento numerico e dimensionale delle lesioni osteolitiche a carico dei segmenti scheletrici inclusi nell’indagine in particolare all’emisoma destro di D9 e di L4, all’emibacino sinistro (a carico della spina iliaca anteriore, del versante iliaco della sincondrosi, della regione sovracetabolare) e dell’emibacino destro (in corrispondenza della sincondrosi, del muro acetabolare posteriore e della branca ileo e ischio pubica). Lesione litica a carico dell’estremo anteriore della V costa destra”. Viene posto quindi il dubbio di sospetta progressione di malattia ma, in considerazione della netta discrepanza clinico-radiologica, è stata ritenuta opportuna biopsia ossea, eseguita a livello dell’ala iliaca sinistra e del soma di L4. L’esame istologico ha documentato la presenta di “Tessuto osteomidollare con rimaneggiamento delle trabecole ossee e marcata fibrosi con flogosi cronica aspecifica. Non evidenza di neoplasia”

Tale aspetto è stato ritenuto compatibile con risposta alla terapia in atto, che è stata pertanto proseguita.

A completamento è stata eseguita anche PET whole body con F18-FDG (figura 4), che ha confermato il quadro di risposta della malattia: “L’indagine tomoscintigrafica mostra: significativa riduzione in gradiente di accumulo delle captazioni ossee precedentemente descritte (arco anteriore della V costa destra, soma di L4, ileo sinistro, acetabolo destro, pube-ischio destro ed diafisi femorale destra)”

Tale quadro di risposta si è confermato anche al successivo controllo PET di gennaio 2024.

Una chiara risposta alla TAC si è mostrata al successivo controllo di aprile 2024, che ha documentato “aspetto maggiormente osteoaddensato (alcune a struttura mista osteolitica con componente periferica osteoaddensata ed altre francamente osteoaddensate) delle lesioni precedentemente descritte come osteolitiche a carico all’emisoma destro di D9 e di L4, all’emibacino sinistro (a carico della spina iliaca anteriore, del versante iliaco della sincondrosi, della regione sovracetabolare) e dell’emibacino destro (in corrispondenza della sincondrosi, del muro acetabolare posteriore e della branca ileo e ischio pubica). Restante quadro invariato, negativa la ricerca di metastasi viscerali”.

La terapia con trastuzumab deruxtecan è ancora in corso, GD ha completato 15 cicli di trattamento, ben tollerati. GD non presenta ora sintomi di rilievo, non necessita di terapia antalgica, non presenta alcuna limitazione funzionale

Conclusioni

Nel case report viene descritta la storia clinica di una paziente affetta da carcinoma mammario metastatico HER2 positivo, con ottima risposta a livello osseo al trattamento con Trastuzumab deruxtecan. Viene documentata la risposta anche a livello istologico, con assenza di malattia alle biopsie ossee eseguite. Tale dato

concorda con il miglioramento clinico della paziente. È da sottolineare che la netta discordanza tra le prime indagini radiologiche (in apparente peggioramento) e la clinica (in miglioramento) ha guidato la scelta dell’iter di cura, conducendo all’esecuzione di biopsie ossee che permettessero di definire con chiarezza il quadro e procedere con la terapia adeguata.

Figura 1. TAC torace e addome con mdc (aprile 2023).
Figura 2. PET whole body con F18-FDG (maggio 2023).

Il successivo follow-up ha confermato la correttezza della scelta e la paziente è ancora in trattamento, con netto beneficio clinico, recupero delle autonomie e scomparsa del dolore.

Bibliografia

14. Curigliano G, Dunton K, Rosenlund M, et al. Patientreported outcomes and hospitalization data in patients with HER2-positive metastatic breast cancer receiving trastuzumab deruxtecan or trastuzumab emtansine in the phase III DESTINY-Breast03 study. Ann Oncol 2023; 34(7): 569-577.

Significativa riduzione in gradiente di accumulo delle captazioni ossee segnalate precedentemente

Figura 3. TAC torace e addome di rivalutazione (agosto 2023).
Figura 4. PET whole body con F18-FDG (ottobre 2023).

Caso clinico 4

Paziente con recidiva precoce di carcinoma mammario

HER2 positivo

Introduzione

Il tumore mammario HER2 positivo rappresenta una sottocategoria di neoplasie mammarie caratterizzata dall’iperespressione del recettore del fattore di crescita epidermico umano 2 (HER2). Questa condizione interessa circa il 15-20% delle pazienti affette da carcinoma mammario e si associa a una prognosi generalmente più sfavorevole rispetto ad altri sottotipi di tumore mammario. Nonostante i progressi terapeutici, inclusi l’introduzione di terapie mirate come il trastuzumab e il pertuzumab, la recidiva precoce rimane una sfida significativa, con impatti rilevanti sulla sopravvivenza complessiva e sulla qualità della vita delle pazienti.

La recidiva precoce del tumore mammario HER2 positivo, definita come ripresa di malattia in corso di terapia adiuvante o entro i sei mesi dal completamento della stessa o del trattamento neoadiuvante, è spesso associata a una biologia tumorale aggressiva e a un comportamento clinico che rende difficile il controllo a lungo termine della malattia. Vari fattori possono contribuire a questo fenomeno, tra cui la resistenza primaria o acquisita ai trattamenti, le caratteristiche intrinseche del tumore, e le interazioni con il microambiente tumorale.

Nel corso degli ultimi 10 anni l’avvento degli anticorpi farmaco coniugati (ADC), prima con trastuzumab emtansine (T-DM1) e più recentemente con trastuzumab deruxtecan (T-Dxd), ha offerto una possibilità terapeutica efficace in questo particolare sottogruppo di pazienti, che notoriamente appariva meno responsivo al trattamento antiHER2 e che aveva una prognosi

peggiore rispetto agli altri pazienti con malattia HER2 positiva.

Il primo anticorpo monoclonale farmaco-coniugato anti-HER2 approvato è stato il T-DM1, che ha rappresentato fino a pochi mesi fa il trattamento in prima linea in pazienti che sviluppano una recidiva di malattia in corso o precocemente rispetto al termine del trattamento adiuvante, alla luce dei dati dello studio EMILIA, in cui una parte dai pazienti (15.6%) rappresentava la popolazione in oggetto1. Negli ultimi anni sono stati sviluppati nuovi anticorpi monoclonali farmacoconiugati anti-HER2 più potenti rispetto a T-DM1. Attualmente, l’Agenzia Italiana del Farmaco ha approvato uno di questi, T-Dxd, in pazienti con tumore metastatico HER2 positivo che hanno già ricevuto almeno due terapie precedenti per la malattia avanzata o che sono recidivati entro i sei mesi dalla terapia neo/adiuvante, sulla scorta dei risultati degli studi DESTINYBreast02 2 e DESTINY-Breast03 3

Caso clinico e trattamento

La signora RR, di 52 anni, PS ECOG 0, non pregressi clinici di rilievo se non ipertensione in trattamento e in buon compenso emodinamico, in anamnesi madre con carcinoma mammario a 45 anni deceduta per lo stesso a 50 anni.

A maggio 2019, per comparsa di lesione mammaria destra, eseguiva esame clinico-strumentale delle mammelle con riscontro di lesione sospetta di circa 6 cm, con almeno due linfoadenopatie sospette nel cavo ascellare omolaterale. Eseguiva quindi agobiopsia mammaria e linfonodale con diagnosi istologica di carcinoma duttale infiltrante, di grado 3, recettore per estrogeno (ER) 0%, recettore per progesterone (PR) 0%, ki-67 50%, HER2 3+. La biopsia linfonodale risultava positiva per localizzazione di carcinoma.

La paziente è stata sottoposta a TC torace/addome con mezzo di contrasto di stadiazione e scintigrafia ossea total body, che risultavano negative per localizzazioni a distanza di malattia.

Dopo valutazione cardiologica, che non rilevava problematiche cardiologiche in atto con una frazione di eiezione del 65%, la paziente intraprendeva ad agosto 2019 chemioterapia ad intento neoadiuvante secondo schema EC90 (epirubicina 90 mg/mq, ciclofosfamide 600 mg/mq) per 4 cicli a cadenza trisettimanale, a se -

guire paclitaxel settimanale (80 mg/mq) in associazione a trastuzumab per 12 settimane.

Al termine della chemioterapia neoadiuvante, nel complesso tollerata senza particolari effetti collaterali, la rivalutazione mammaria dimostrava una risposta mammaria parziale, con un residuo di malattia di circa 2,5 cm, con negativizzazione radiologica del cavo ascellare.

La paziente in data 13 febbraio 2020 è stata sottoposta a mastectomia destra e dissezione ascellare, il cui esame istologico confermava la presenza di un residuo di malattia di 2,4 cm, senza coinvolgimento di malattia nei 22 linfonodi asportati. Stadiazione TNM: yT2 N0, ER 0%, PR 0%, ki67 35%, HER2 3+.

Nel marzo 2020 la paziente è stata valutata per eseguire trattamento radiante su parete toracica e stazioni linfondali e riprendeva trattamento con trastuzumab a completamento dell’anno di trattamento.

A giugno 2020, appena 4 mesi dopo l’intervento, la paziente riferiva la comparsa di noduli cutanei sospetti. Un’eco mammografia mostrava la presenza di molteplici noduli periprotesici, che infiltravano il muscolo pettorale. Si eseguiva biopsia su uno di questi noduli con conferma di localizzazione dermo-ipodermica di carcinoma di origine mammaria, ER 0%, PR 0%, ki67 50%, HER2 3+.

Si poneva indicazione a ristadiazione di malattia con nuova TC torace/addome con mezzo di contrasto e scintigrafia ossea: oltre ai noti noduli periprotesici si

segnalava anche la presenza di linfoadenomegalie in cavo ascellare dx, la maggiore di 27 mm, e alcuni linfonodi globosi lungo la catena mammaria interna. Alla luce della recidiva precoce di malattia e dell’impossibilità di radicalizzazione chirurgica, la paziente intraprendeva prima linea di trattamento con T-DM1 in giugno 2020.

Nonostante una risposta iniziale sui noduli cutanei, in gennaio 2021 una TC di rivalutazione mostrava progressione di malattia con aumento dimensionale delle note linfoadenopatie e la comparsa di ulteriori linfoadenopatie in sede sottopettorale di destra. Le lesioni periprotesiche apparivano sostanzialmente stabili.

A fronte di questa progressione è stata proposta terapia con capecitabina-lapatinib, in mancanza di ulteriori opzioni in trial clinico.

Ad aprile 2021, per ulteriore progressione di malattia e a fronte dell’apertura in Italia del programma di accesso nominale al trastuzumab deruxtecan, è stato infine proposto trattamento con T-Dxd, che la paziente iniziava il mese successivo.

Durante il trattamento con T-DXd la paziente, adeguatamente premedicata per evitare la nausea e il vomito indotto da chemioterapia (CINV) ha lamentato solo nausea G1, senza nessun altro effetto collaterale.

Alle successive rivalutazioni strumentali la malattia ha dimostrato di essere in ottimo controllo radiologico (figura 1), con un’iniziale e sostanziale riduzione di -

Figura 1. Confronto radiologico pre e post terapia con trastuzumab deruxtecan.

Pre T-Dxd

Dopo 3 cicli T-Dxd

mensionale e numerica delle note lesioni linfonodali e sottocutanee e periprotesiche.

La paziente è stata sottoposta a 32 cicli di T-Dxd, per una PFS in T-Dxd di 22 mesi.

Alla TC di rivalutazione di febbraio 2023, per progressione di malattia linfonodale mediastinica e pleurica, la paziente è stata candidata a chemioterapia con paclitaxel settimanale in associazione a trastuzumab che eseguiva fino a agosto 2023.

A settembre 2023 per ulteriore progressione di malattia si passava quindi a una chemioterapia secondo schema CMF (ciclofosfamide 600 mg/mq, methotrexate 40 mg/mq, e 5-fluorouracile 600 mg/mq) in associazione a trastuzumab trisettimanale, ad oggi tutt’ora in corso.

Discussione

Il trattamento della recidiva precoce nel caso della malattia HER2 positiva è da sempre un trattamento complesso. Da una parte si è di fronte ad una malattia sicuramente aggressiva che necessita di farmaci attivi, dall’altra c’è il timore dell’oncologo che non proporre determinati farmaci come il doppio blocco pertuzumab-trastuzumab possa comportare una perdita di chance terapeutiche per il paziente.

Lo studio CLEOPATRA4, che ha reso il doppio blocco di pertuzumab e trastuzumab in associazione a un taxano l’opzione standard in prima linea di trattamento per la malattia HER2 positiva metastatica, non prevedeva l’inclusione di pazienti la cui recidiva fosse avvenuta prima dei 12 mesi dal completamento del trattamento adiuvante. Alcuni dati in real world dimostrano una possibile efficacia di questa combinazione anche in pazienti con recidiva prima dell’anno5, ma in mancanza di evidenze solide tale trattamento non è ad oggi consigliato in questo sottogruppo di pazienti.

Lo studio EMILIA1, che comprendeva una quota di pazienti con recidiva precoce, ha portato il T-DM1 ad essere per anni lo standard di trattamento in prima linea in questo raro ma complesso sottogruppo di pazienti. In questo studio, che confrontava T-DM1 con capecitabina + lapatinib, il trattamento con T-DM1 ha migliorato la sopravvivenza libera da progressione valutata dallo sperimentatore (mediana, 9,4 mesi con T-DM1 rispetto a 5,8 mesi con lapatinib più capecitabina; rapporto di rischio per progressione o morte per qualsiasi causa, 0,66; IC al 95%, da 0,56 a 0,77;P<0,001).

Il tasso di risposta obiettiva è stato più elevato nel gruppo T-DM1 (43,6%; IC 95%, da 38,6 a 48,6) rispetto al gruppo lapatinib-capecitabina (30,8%; IC 95%, da 26,3 a 35,7; P<0,001) e la durata mediana della risposta è stata più lunga (12,6 mesi contro 6,5 mesi)1 Nello studio di fase 3, multicentrico, internazionale, randomizzato, in aperto, DESTINY-Breast03 3, 524 pazienti con carcinoma mammario HER2 positivo, non resecabile o metastatico, precedentemente trattate con trastuzumab e un taxano, sono state randomizzate, in un rapporto 1:1, a ricevere un trattamento con trastuzumab deruxtecan (5,4 mg/kg ogni 3 settimane) oppure trastuzumab emtasine (3,6 mg/kg ogni 3 settimane). La popolazione in studio includeva anche pazienti in progressione entro 6 mesi dalla terapia neoadiuvante o adiuvante e pazienti con metastasi cerebrali già trattate, clinicamente stabili.

L’endpoint primario era la PFS valutata mediante revisione centrale indipendente, mentre l’endpoint secondario principale era la sopravvivenza globale (OS). Altri endpoint secondari includevano il tasso di risposta obiettiva (ORR), la durata della risposta (DoR), la PFS valutata dagli sperimentatori e la sicurezza. Le caratteristiche basali delle pazienti erano ben bilanciate nei due bracci di trattamento. Il follow up mediano è stato di 16,2 mesi con trastuzumab deruxtecan e 15,3 mesi con trastuzumab emtasine.

Il trattamento con trastuzumab deruxtecan ha mostrato un significativo vantaggio rispetto a trastuzumab emtansine in termini di PFS (mediana non raggiunta verso 6,8 mesi, rispettivamente), come da revisione centrale indipendente. La PFS a 12 mesi è stata del 75,8% nei pazienti trattati con trastuzumab deruxtecan e del 34,1% in quelli trattati con trastuzumab emtasine (hazard ratio, HR: 0,28; 95% IC, 0,22-0,37; P<0,001). La PFS mediana valutata dagli sperimentatori è stata di 25,1 mesi verso 7,2 mesi per trastuzumab deruxtecan e trastuzumab emtasine, rispettivamente.

L’OS a 12 mesi è stata del 94,1% con trastuzumab deruxtecan e dell’85,9% con trastuzumab emtasine (HR, 0,55; 95% IC, 0,36-0,86; significatività statistica non ancora raggiunta) (figura 2).

Anche in termini di risposte obiettive e di controllo di malattia, trastuzumab deruxtecan è risultato superiore a trastuzumab emtasine, con un tasso di risposte del 79,7% verso 34,2%, incluso un maggior numero di risposte complete, ed una percentuale di con -

Figura 2. OS, PFS e analisi per sottogruppi dello studio Destiny Breast03.

Median, months (95% CI) HR (95% CI) Nominal p value

Trastuzumab deruxtecan

Trastuzumab emtansine

Censor

Trastuzumab deruxtecan (n=261)

Trastuzumab emtansine (n=263)

Number at risk

Trastuzumab deruxtecan

Trastuzumab emtansine

Number at risk

Trastuzumab deruxtecan

Trastuzumab emtansine

Censor

Trastuzumab deruxtecan Trastuzumab emtansine NR (40.5-NE) NR (34.0-NE)

(0.47-0.87)

trollo di malattia (disease control rate, DCR) di 96,6% verso 76,8%.

Il beneficio in termini di PFS è stato osservato in tutti i principali sottogruppi analizzati (figura 2).

Per quanto riguarda il profilo di tossicità, l’incidenza degli eventi avversi è risultata simile nei due bracci di trattamento con trastuzumab deruxtecan e trastuzumab emtansine (99,6% e 95,4%, rispettivamente), così come l’incidenza di eventi avversi di grado ≥3 (52,1% vs 48,3%), seppur diverso è lo spettro di tossicità dei due farmaci.

Questo studio ha portato oggi T-Dxd ad essere l’opzione di prima scelta in seconda linea e lo standard di trattamento in caso di progressione precoce entro i 6 mesi dalla terapia neoadiuvante o adiuvante.

Da sottolineare nello studio DESTINY-Breast03 è la lunga PFS dei pazienti in trattamento con T-Dxd Vs quelli in T-DM1: anche nel nostro caso possiamo notare come a fronte di una PFS di appena 7 mesi con TDM1, assistiamo ad una PFS di 22 mesi in corso di trattamento con T-Dxd, a conferma della notevole efficacia del trattamento. Se valutiamo il caso clinico nel suo complesso, la PFS con T-Dxd è la più lunga ottenuta con qualsiasi altro trattamento proposto (figura 3). In conclusione è interessante notare che, se il nostro caso clinico fosse ambientato ai giorni nostri, la paziente avrebbe potuto accedere precocemente e già in prima linea a T-Dxd, senza aspettare la terza linea, potendo potenzialmente migliorare le performance del trattamento.

Bibliografia

1. Verma S, Miles D, Gianni L, et al. Trastuzumab emtansine for HER2- positive advanced breast cancer. N Engl J Med 2012; 367(19): 1783-1791.

2. André F, Hee Park Y, Kim SB, et al. Trastuzumab deruxtecan versus treatment of physician’s choice in patients with HER2-positive metastatic breast cancer (DESTINY-Breast02): a randomised, open-label, multicentre, phase 3 trial. Lancet 2023; 401: 1773-1785.

3. Cortés J, Kim S-B, Chung W-P, et al. Trastuzumab deruxtecan versus trastuzumab emtansine for breast cancer. N. Engl J Med 2022; 386: 1143-1154.

4. Baselga J, Cortes J, Kim S, et al. Pertuzumab pl.us trastuzumab plus docetaxel for metastatic breast cancer. N Engl J Med 2012; 366(2): 109-119.

5. Schettini F, Conte B, Buono G et al. T-DM1 versus pertuzumab, trastuzumab and a taxane as first-line therapy of early-relpased HER2 positive metastatic breast cancer: an Italian multicenter observational study. ESMO Open 2021; 6(2):100099.

Conflitto di Interessi

Carlo Alberto Giorgi segnala rapporti di collaborazione con Eli Lilly, Novartis, Astrazeneca, Daichii Sankyo, Seagen.

Figura 3. Riassunto visivo del caso, con durata in mesi per ogni singola linea di trattamento.

Caso clinico 5

T-Dxd nel carcinoma mammario

metastatico: controllo prolungato e tolleranza

Situazione clinica iniziale

La sig.ra Rosa è una donna di 84 anni, non fumatrice con le seguenti co-morbidità: diabete mellito tipo II, arteriopatia cronica arti inferiori, insufficienza venosa con linfedema alle gambe e portatrice di ulcera parcellare in sede perimalleolare sinistra sx medicata con garza grassa, ossido di zinco e bendaggio lievemente compressivo.

Tiroidite di Hashimoto.Broncopatia cronica asmatiforme, ipertensione arteriosa ben controllata dalla terapia farmacologica. Cardiopatia ischemica NSTEMI rivascolarizzata nel 2014 mediante PTCA+STENT su IVA coronaria destra.

Attualmente assume: bisoprololo, furosemide, enalapril, cardio-aspirina, metformina, barnidipina, atorvastatina, pantoprazolo, levotiroxina. Buon compenso emodinamico.

In data 17.07.2020 a seguito dell’autorilievo di “indurimento ed arrossamento” della mammella destra, esegue mammografia + ecografia mammaria con riscontro di mammella destra diffusamente edematosa con ispessimento cutaneo e ulcerazione areolare; adenopatia ascellare destra del diametro di 28 mm. C.D.: Quadro di mastite carcinomatosa.

In data 27.07.2020 esegue tru-cut mammella destra: carcinoma infiltante di tipo non speciale (duttale); ER 98%, PgR negativo, Ki 67 = 40%, HER-2 3+.

In occasione della prima visita ambulatoriale le viene prescritta terapia con anastrozolo e viene posta in nota di ricovero per completamento staging, bilancio

cardio-oncologico e posizionamento di accesso venoso centrale.

Bilancio cardioncologico: moderata disfunzione ventricolare sinistra sistolica, disfunzione diastolica di I grado FEVS 45%.

Alla TAC Total Body (04.09.2020): minute formazioni nodulari prevalentemente ambito mediobasale d’ambo i lati del diametro di pochi mm, la maggior di esse alla base di sx misura mm 8; minuta area nodulare osteoaddensante a carico del soma di D11. (Dalla revisione dei radiogrammi TAC effettuata dal radiologo refertante si conclude per un vecchio focolaio in via di risoluzione escludendo pertanto la presenza di lesioni secondarie).

Inizia terapia di prima linea con trastuzumab + paclitaxel per 12 somministrazioni settimanali dal 07.09.2020 al 04.01.2021 al termine delle quali nel gennaio 2021 si procede ad un nuovo ricovero per rivalutazione clinico-strumentale con mammografia + ecografia (15.01.2021) che documenta una riduzione dell’ispessimento cutaneo precedentemente segnalato in assenza di linfonodi ascellari strutturalmente patologici. La rivalutazione da parte del chirurgo senologo non pone indicazione al trattamento chirurgico mentre la consulenza radioterapica esprime parere favorevole per un trattamento radicale su mammella destra e drenaggi.

Dal 24.02.2021 al 14.04.2021 esegue trattamento radioterapico su mammella destra (tecnica IMRT) in 30 sedute (60 Gy, dose frazionata 2Gy), proseguendo il trattamento con Trastuzumab e Letrozolo e interrompendo il paclitaxel in considerazione della riacutizzazione di lesioni ulcerose e della incipiente neurotossicità agli arti inferiori.

Esegue inoltre periodiche valutazioni cardiologiche che documentano una sostanziale stazionarietà del quadro cardiologico in particolare per quanto riguarda la FEVS 45%.

Ulteriore controllo mammografico a marzo 2022 che documenta la persistenza di una mammella destra notevolmente edematosa e la comparsa, in corrispondenza del rilievo clinico in regione parasternale sinistra (figura 1) di una lesione ipoecogena cutanea di 10x4,6 mm di spessore verosimilmente riferibile e lesione ripetitiva.

Approccio terapeutico

alla progressione clinica

A maggio 2023 la paziente inizia un trattamento chemioterapico di II linea con trastuzumab + vinorelbina: tale combinazione viene scelta anche in considerazione del fatto che sono stati riscontrati polimorfismi al momento della esecuzione del test per analisi molecolare della DYPD (variante in eterozigosi di più geni). Per ragioni logistiche (essendo la paziente di fuori regione) è stata preferita la somministrazione orale di vinorelbina in 8° giornata.

Dopo appena 2 cicli di trattamento con vinorelbina e trastuzumab, il trattamento è stato interrotto per ulteriore progressione con comparsa di nuove lesioni cutanee tendenti alla diffusione sulla parete toracica, oltre che per intolleranza (brividi, sudorazione, nausea).

Pertanto a partire dal 13 luglio 2023 la paziente inizia terapia con trastuzumab deruxtecan mediante riclassificazione CNN (Gazzetta Ufficiale n.153 del 03.07.2023) avendo eseguito bilancio cardioncologico (29.06.2023): FEVS 51%.

Durante i primi 3 cicli di terapia la signora mostra un’ottima tollerabilità, senza alcuna effetto collate -

rale per cui si decide di aumentare di un livello di dose.

Si è verificato un ritardo nella somministrazione del 5° ciclo a causa di infezione del port-picc che è stato rimosso dopo adeguata terapia antibiotica e isolamento del germe responsabile dell’infezione. Il trattamento è proseguito senza nessuna tossicità gastrointestinale o variazioni significative dei parametri di laboratorio e soprattuto con progressiva riduzione delle localizzazioni cutanee in sede parasternale (vedi figura 2).

Anche i ripetuti bilanci cardioncologici non mostrano significative variazioni della contrattilità cardiaca Ad oggi la paziente ha effettuato 11 cicli di trattamento e prosegue la terapia senza ritardi o tossicità manifeste (vedi figura 3).

Considerazioni cliniche

La peculiarità del caso clinico fa riferimento alle caratteristiche clinico-demografiche trattandosi di una paziente anziana (>80 anni) con una serie di co-morbidità e con polifarmacologia. Tuttavia considerando l’ottimo performace status e la decisa motivazione a sottoporsi a trattamenti attivi, è

Figura 1. Inizio trattamento con trastuzumab deruxtecan.

Figura 2. Dopo 4 cicli di terapia con trastuzumab deruxtecan.

Figura 3. Dopo 8 cicli di terapia con trastuzumab deruxtecan.

stato possibile un controllo della malattia per mesi con l’impiego dapprima dell’associazione trastuzumab + paclitaxel in aggiunta all’ormonoterapia trattandosi di una triple positive, e in seguito con la combinazione di trastuzumab più vinorelbina.

Nel momento in cui la malattia a livello cutaneo ha cominciato a manifestare refrattarietà al trattamento di seconda linea con trastuzuman e vinorelbina, alla paziente è stato proposta la terapia con trastuzumab deruxtecan.

e la paziente, adeguatamente informata, ha subito accettato tale opzione terapeutica.

Il farmaco ha un ruolo di primo piano nell’algoritmo terapeutico del carcinoma mammario metastatico come dimostra lo studio registrativo DESTINY Breast-031 in cui il trastuzumab deruxtecan ha ottenuto una PFS mediana di 28.8 mesi e una mOS non ancora raggiunta ad un follow-up mediano di 28 mesi rispetto al braccio controllo rappresentato dall’ADC di riferimento ovverossia il TDM-1.

Anche nella popolazione anziana il farmaco ha dimostrato non solo la sua efficacia clinica ma anche una ottima tollerabilità in termini di safety2,3

Bibliografia

1. Hurvitz SA, Hegg R, et al. Trastuzumab deruxtecan versus trastuzumab emtansine in patients with HER2-positive metastatic breast cancer: updated results from DESTINY-Breast03, a randomised, open-label, phase 3 trial. Lancet 2023; 401: 10517.

2. Buono G, Deleuze A, Klocker EV, Chung W-P, et al. Real-world safety and efficacy of trastuzumabderuxtecan (T-DXd) in HER2-positive advanced breast cancer (ABC) elderly patients (pts): The TREX-Old retrospective registry 237P. Esmo Open 2023; 8: 1S4.

3. Krop I, Wildiers H, Hurvitz S et al. An age-specifi,c pooled analysis of trastuzumab deruxtecan (T-DXd) in patients (pts) with HER2-positive (HER2+) metastatic breast cancer (mBC) fromDESTINY-Breast01, -02, and -03. JCO 2023; 41(16): suppl 1006.

Caso clinico 6

Efficacia

intracranica di trastuzumab deruxtecan

1 UOSD Oncologia Medica - Ospedali dell’Emergenza

Usl Umbria 1

2 UOS Radiologia Città di Castello, USL Umbria 1

Introduzione

Le metastasi cerebrali (BM) insorgono in circa il 25% delle neoplasie metastatiche. Nella maggior parte dei casi vengono riscontrate occasionalmente in pazienti asintomatici o paucisintomatici in corso di indagini radiologiche di screening. In altri casi si possono verificare sintomi neurologici quali cefalea, crisi epilettiche, deficit motori, afasia, disturbi visivi o ipertensione endocranica1. Il rischio di sviluppare BM nel corso della storia clinica nelle neoplasie mammarie metastati-

che (mBC) varia in relazione al sottotipo molecolare: 38% nel triplo negativo, 49% nell’ HER2+/ER-, 34% nell’HER2+/ER+ e circa il 19% nell’HER2-/ER+1. Il tempo medio di insorgenza delle BM è di circa 24 mesi dalla diagnosi ma nella malattia HER2 positiva tende ad essere più precoce rispetto alle neoplasie ER+1. Per la maggior parte dei pazienti il goal del trattamento delle BM è prevenire o ritardare il deterioramento neurologico e prolungare la sopravvivenza con una qualità di vita accettabile. Una minoranza di pazienti con poche e piccole lesioni possono viceversa ottenere una lunga sopravvivenza o addirittura la “cura” attraverso un approccio multidisciplinare2 . I dati del SEER riportano una sopravvivenza media delle pazienti con BM da mBC variabile da 2 a 21 mesi3

Descrizione del caso Presentazione del caso

A luglio 2020 giunge alla nostra attenzione VG, una donna non fumatrice di 41 anni, senza alcuna comorbidità, in seguito al riscontro di mastite carcinomatosa, adenopatie ascellari multiple e lesioni ossee secondarie sincrone (figura 1 A). L’esame istologico ha documentato un carcinoma duttale infiltrante G3, ER: 90%, PgR: 20%, Ki67: 60%, HER2: 3+.

Figura 1. Mammografia, ecografia e PET basale (A) e dopo trattamento di prima linea con paclitaxel + trastuzumab + pertuzumab (B).

Trattamento

Lo studio Cleopatra ha stabilito l’attuale gold standard terapeutico per il mBC HER2+, indipendentemente dai recettori ormonali (ER e/o PgR), con l’aggiunta di pertuzumab alla combinazione trastuzumab + taxani: ad un follow-up mediano >8 anni il trattamento con doppio blocco ha permesso un guadagno di 16.3 mesi di sopravvivenza globale mediana (HR 0,69)4. Per prevenire l’alopecia è stata consigliata una cuffia refrigerata. Dopo 12 settimane di trattamento con pertuzumab+ trastuzumab+paclitaxel+acido zoledronico la nostra paziente ha ottenuto una risposta metabolica com -

pleta (mCR) sia sul tumore primitivo che su tutte le altre localizzazioni di malattia (figura 1 B). A partire dal novembre 2020 è stato iniziato mantenimento con pertuzumab+trastuzumab+acido zoledronico+LHrhanalogo e tamoxifene.

A luglio 2022, per l’insorgenza di vertigini ed instabilità posturale è stata effettuata una RMN encefalo con mdc che ha documentato numerose (>10) lesioni cerebrali sopra e sottotentoriali (figura 2 A-B). Una PET-TC ha escluso modificazioni dei reperti extracranici noti confermando la mCR. Al fine di controllare la sintomatologia neurologica, considerando l’estensione delle

Figura 2. RMN encefalo con mezzo di contrasto basale (A), alla progressione cerebrale (B) e all’ultima rivalutazione di malattia (C).

localizzazioni cerebrali che non consentiva un approccio stereotassico, è stata eseguita una radioterapia panencefalica.

A settembre 2022, in accordo allo studio DESTINYBreast03 è stato avviato un trattamento con trastuzumab deruxtecan (TDXd), solo inizialmente all’interno di un expandend access program, tuttora in corso che ha permesso di mantenere una mCR periferica ed un ottimo controllo della malattia intracranica in assenza di eventi avversi.

Follow-up

Ad oggi, dopo circa 21 mesi di trattamento, la paziente ha ottenuto una remissione completa della sintomatologia neurologica ed una remissione quasi completa delle plurime localizzazioni cerebrali e cerebellari nel follow-up con RMN encefalo con mdc (figura 2 C) mantenendo un controllo ottimale anche della malattia extracranica.

Discussione

Lo studio HER2CLIMB è stato il primo trial randomizzato che ha incluso pazienti con BM attive. Lo studio ha confrontato la combinazione di tucatinib, un inibitore tirosina chinasico orale, o placebo in associazione a Trastuzumab e Capecitabina in 291 pazienti con mBC. Le pazienti trattate con tucatinib hanno ottenuto una mPFS di 7,6 mesi (95% IC 6,2-9,5 mesi) rispetto a 5,4 mesi (95% IC 4,1-5,7 mesi) del gruppo di controllo (p<0.001) con una riduzione del rischio di progressione di malattia del 52%6 .

Lo studio DESTINY-Breast03 ha dimostrato che TDXd è associato ad un significativo miglioramento della PFS (mPFS 28,8 vs 6,8 mesi, HR 0,33 p<0,0001) e dell’OS (mOS non raggiunta, HR 0,64, p=0,0037) rispetto a T-DM1 in pazienti con mBC pre-trattate con Trastuzumab e taxani, in particolare in quelle con localizzazioni cerebrali (mPFS 15 vs 3 mesi, ORR 63,9 vs 33,4% e CR 27,8 vs 2,8% a favore di TDXd), a fronte di una tossicità sovrapponibile (G3 AEs 56% vs 52%)5. Poiché gli studi DESTINY-Breast 01 e 03 avevano arruolato solo pazienti con BM stabili (ovvero precedentemente trattate e non in progressione), il problema delle BM attive è stato indagato da alcuni trial di fase II (Debbrah, Tuxedo-1 e ROSET-BM). In questi studi la risposta intracranica del TDXd oscillava tra il 44 ed il 73% 6 .

Una recente metanalisi condotta su pazienti con BC da mBC HER2+ trattati con TDXd sia all’interno di trial clinici che nel setting di real-world ha mostrato risultati notevoli: una ORR globale ed intracranica del 61% ed un controllo di malattia intra ed extracranica rispettivamente del 70 e dell’80% 6 . Il beneficio di TDXd è risultato trasversale ai vari sottogruppi con BM stabili o attive e ha comportato una riduzione del 70% del rischio di progressione rispetto agli altri approcci terapeutici. Dal punto di vista della tollerabilità, la preoccupazione maggiore destata nei diversi trial è stata rappresentata dalla polmonite interstiziale (ILD) che si è verificata nel 15% (vs 3%) delle pazienti trattate con TDXd. La nostra paziente non ha presentato alcun evento avverso legato al trattamento.

Le aspettative del trattamento con TDXd nelle pazienti HER2-positive con recidiva cerebrale dopo trattamento con pertuzumab+trastuzumab+taxani sono elevate. Sebbene, ad oggi, le linee guida ESMO, sulla base dello studio HER2CLIMB, raccomandino la combinazione tucatinib+capecitabina+trastuzumab nelle pazienti con BM attive7, esistono già dati che indicano una elevata efficacia di TDXd nelle BM non precedentemente trattate8-9. Lo studio DESTINY-Breast12 è stato disegnato proprio per chiarire meglio la necessità di un trattamento locale nelle pazienti candidate a trattamento con TDXd.

Conclusioni

Sebbene i numeri siano piccoli e gli studi al momento disponibili non permettano di esprimere un giudizio definitivo, il nostro caso clinico conferma l’elevata efficacia intracranica di TDX nelle pazienti con metastasi cerebrali.

Bibliografia

1. Darlix A, Louvel G, Fraisse J, et al. Impact of breast cancer molecular subtypes on the incidence, kinetics and prognosis of central nervous system metastases in a large multicentre real-life cohort. Br. J. Cancer 2019; 121(12): 991-1000.

2. Le Rune E, Guckenberger M, Smits M, et al. EANOESMO Clinical Practice Guidelines for diagnosis, treatment and follow-up of patients with brain metastasis from solid tumours. Ann Oncol 2021; 11: 1332-1347.

3. Lamba N, Wen PY, Aizer AA. Epidemiology of Brain Metastases and Leptomeningeal Disease. Neuro Oncol 2021; 23: 1447-1456.

4. Swain SM, Miles D, Kim SB, et al. Pertuzumab, trastuzumab, and docetaxel for HER2-positive metastatic breast cancer (CLEOPATRA): end-of-study results from a double-blind, randomised, placebocontrolled,phase 3 study. Lancet Oncol 2020; 21: 519-530.

5. Hurvitz AS Hegg R, Chung WP, et al., Trastuzumab deruxtecan versus trastuzumab emtansine in patients with HER2-positive metastatic breast cancer: updated results from DESTINY-Breast03, a randomised, open-label, phase 3 trial. The Lancet 2023; 401: 105-117.

6. Michelon I, Vilbert M, Marinho AD, et al. Trastuzumab deruxtecan in human epidermal growth factor receptor 2-positive breast cancer brain metastases: a systematic review and meta-analysis. Ann Oncol 2024; 9: 1-10.

7. Gennari A, André F, Barrios CH, et al. ESMO Clinical Practice Guideline for the diagnosis, staging and treatment of patients with metastatic breast cancer. Ann Oncol 2021; 32: 1475-1495.

8. Hurvitz SA, Modi S, Li W, et al., A pooled analysis of trastuzumab deruxtecan (T-DXd) in patients (pts) with HER2-positive (HER2+) metastatic breast cancer (mBC) with brain metastases (BMs) from DESTINY-Breast (DB) -01, -02, and -03. Ann Oncol 2023; 34: S335-336.

9. Hamilton EO, Hurvitz SA, Im SA, et al. Trastuzumab deruxtecan (T-DXd) vs trastuzumab emtansine (T-DM1) in patients (pts) with HER2+ metastatic breast cancer (mBC): Updated survival results of DESTINYBreast03. J Clin Oncol 2024; 1025: s16.

Corrispondenza: marco.gunnellini@uslumbria1.it

Turn static files into dynamic content formats.

Create a flipbook
Issuu converts static files into: digital portfolios, online yearbooks, online catalogs, digital photo albums and more. Sign up and create your flipbook.