Carcinoma mammario metastatico HER2 positivo: il ruolo di trastuzumab deruxtecan

Page 1


Quaderno 1

Carcinoma mammario metastatico

HER2 positivo: il ruolo di trastuzumab deruxtecan Sommario

Caso clinico 1

Paziente affetta da carcinoma mammario HER2 positivo con metastasi cerebrali: trattamento in seconda linea

Alessandra Beano 2

Caso clinico 2

Paziente con diagnosi di carcinoma mammario metastatico HER2 positivo in trattamento di seconda linea con trastuzumab deruxtecan

Nadia Bianco 7

Caso clinico 3

Terapia di seconda linea con trastuzumab deruxtecan in carcinoma mammario metastatico HER2 positivo

Lucia Da Ros 14

Caso clinico 4

Trastuzumab deruxtecan in tumore della mammella HER2 positivo stadio IV de novo: efficacia e rapidità di risposta in paziente in progressione precoce alla terapia di prima linea

Alice Giaquinto 19

Caso clinico 5

Il trattamento del carcinoma mammario metastatico HER2 positivo con impegno leptomeningeo

Luigi Coltelli 23

Caso clinico 6

Controllo intracranico e meningeo con trastuzumab deruxtecan in mBC HER2 positivo

Antonino Mafodda 29

Caso clinico 7

Trastuzumab deruxtecan in seconda linea per il carcinoma mammario HER2 positivo con metastasi cerebrali

Francesca Poggio 33

Caso clinico 8

Efficacia del trastuzumab deruxtecan in paziente con metastasi cerebrali di carcinoma mammario HER2 positivo

Armando Orlandi 36

Caso clinico 1 Paziente affetta da carcinoma mammario HER2 positivo con metastasi cerebrali: trattamento in seconda linea

Beano SSD Oncologia senologica, Dipartimento di Oncologia,

Città della Salute e della Scienza di Torino.

Introduzione

Nel 2020 in Italia sono stati diagnosticati circa 55.000 nuovi casi di tumore della mammella (includendo circa 500 casi di tumori della mammella maschile); si tratta della neoplasia più frequente nelle donne, rappresentando all’incirca un terzo dei tumori femminili.

Anche in Italia il tumore della mammella ad oggi resta la prima causa di morte femminile per tumore, rappresentando il 28% delle morti per causa oncologica prima dei 50 anni, il 21% tra i 50 e i 69 anni e il 14% oltre i 70 anni. La mortalità appare in calo in tutte le classi di età, con una sopravvivenza a 5 anni dalla diagnosi di circa l’87%; tale riduzione della mortalità può essere riconducibile all’anticipazione diagnostica, ma anche ai progressi terapeutici1.

Circa il 15-20% dei tumori mammari iperesprime il recettore HER2; questo sottogruppo di pazienti ha un fenotipo clinico particolarmente aggressivo e aveva una prognosi sfavorevole prima dell’avvento delle terapie mirate anti-HER2. L’introduzione di tali farmaci ha determinato un miglioramento dei risultati in termini di sopravvivenza, grazie all’impiego del doppio blocco HER2, vale a dire all’utilizzo di anticorpi (Ab) anti-HER2 che legano epitopi differenti del dominio extracellulare di HER2, oppure all’impiego di piccole molecole deputate all’inibizione del dominio tirosinchinasico della porzione intracellulare del recettore, o

ancora all’utilizzo di Ab diretti contro HER2 coniugati a farmaci citotossici2.

Circa il 30-50% delle pazienti con malattia HER2 positiva sviluppa nel corso della sua vita anche metastasi cerebrali; purtroppo, nonostante i progressi dovuti all’introduzione dei regimi terapeutici anti-HER2, la loro prognosi resta sfavorevole. Ciò si deve al fatto che la barriera emato-encefalica (BEE) limita la diffusione delle sostanze tossiche ma anche dei farmaci a livello del sistema nervoso centrale (SNC), facendo sì che la maggior parte di essi non raggiunga in tale sede adeguate concentrazioni terapeutiche3.

I trattamenti per queste pazienti includono un approccio locoregionale con radioterapia (RT) (stereotassica, cyberknife o whole-brain - WBRT); molto spesso la presenza di malattia cerebrale non trattata o in progressione dopo trattamenti locali determina l’esclusione di queste pazienti dai protocolli di ricerca, e spesso la valutazione della risposta a livello del SNC non è tra gli obiettivi primari o secondari degli studi4.

Caso clinico

Si descrive il caso di una giovane paziente affetta da metastasi cerebrali e meningee da carcinoma mammario, trattata in seconda linea con trastuzumab deruxtecan (T-DXd).

A giugno del 2006 giunge alla nostra attenzione una giovane donna di 39 anni, al nono mese di gravidanza; durante una visita ginecologica era stata riscontrata una nodulazione mammaria destra associata ad adenopatia ascellare. Alla valutazione radiologica eseguita con sola ecografia, dato lo stato della paziente, si evidenziava un’area ipoecogena a margini mal definibili di circa 25 mm, poi sottoposta ad agobiopsia con conferma della natura discariocinetica della lesione, associata ad adenopatia ascellare, anch’essa sottoposta a verifica istologica con conferma di secondarietà. La paziente è quindi stata sottoposta a intervento chirurgico di taglio cesareo e contestuale quadrantectomia destra con dissezione ascellare, con esame istologico definitivo deponente per carcinoma duttale infiltrante di 24 mm, pT2, con positività di due linfonodi ascellari su 26 asportati, pN1a, HER2 positivo e negativo per la presenza di recettori ormonali, ovvero: ER 0, PgR 0, Ki67 95%, c-erb 3+.

Successivamente la paziente è stata sottoposta a trattamento chemioterapico adiuvante con EC90 per 4

cicli e a seguire paclitaxel settimanale per 12 cicli, ma ha rifiutato la proposta di effettuare anche un trattamento adiuvante con trastuzumab. Ha inoltre eseguito trattamento radioterapico sulla mammella residua e sulla fossa sopraclaveare omolaterale.

Il follow-up è risultato sempre negativo fino al 2015 (quindi circa 9 anni dopo la diagnosi), quando in seguito al rialzo dei marker tumorali la paziente è stata sottoposta a una ristadiazione di malattia con riscontro di ripresa di malattia in sede polmonare bilaterale (2 lesioni al lobo superiore destro e una al lobo superiore sinistro), linfonodale (mediastinica e ilare polmonare bilaterale) e ossea (VII costa sinistra e VI costa destra). La paziente è stata sottoposta ad agobiopsia di una lesione polmonare, con conferma di secondarietà da carcinoma mammario. La biologia tumorale si è confermata analoga a quella della malattia primitiva, con negatività dei recettori ormonali e positività per HER2. La paziente pertanto è stata avviata a un trattamento di prima linea con docetaxel, pertuzumab e trastuzumab.

Dopo i primi 3 cicli di trattamento, alla TC si è dimostrata la significativa regressione delle adenopatie ilomediastiniche con persistenza nella loro pregressa sede di tessuto amorfo; la notevole riduzione della lesione polmonare parenchimale apicale a sinistra (17 vs 30 mm); non erano più identificabili le lesioni nodulari nel lobo superiore destro; risultava meno evidente la componente parenchimatosa a ridosso del rimaneggiamento della VII costa sinistra.

La paziente ha proseguito la terapia per ulteriori 3 cicli con discreta tolleranza (mialgie G1, astenia G1, episodica diarrea G1), ottenendo al successivo controllo TC una ulteriore risposta a livello polmonare e un’ulteriore riduzione del tessuto amorfo in regione ilomediastinica.

Dopo 6 cicli di trattamento con docetaxel, la paziente ha proseguito il mantenimento con il doppio blocco con periodiche rivalutazioni della malattia.

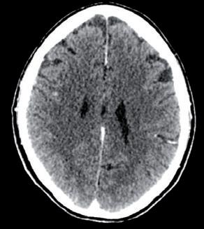
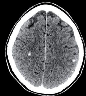
In seguito alla comparsa di cefalea in sede occipitonucale ingravescente con nausea e vomito, la paziente si reca al pronto soccorso (marzo 2021) ove viene sottoposta a una TC del cranio che evidenzia in sede parietooccipitale sinistra una voluminosa lesione espansiva pseudocistica di 7*3 cm con componente parasagittale di morfologia nodulariforme caratterizzata da intenso enhancement, in prima istanza compatibile con lesione secondaria, edema perilesionale

e cospicuo effetto compressivo sul parenchima, sul trigono e sul ventricolo omolaterale, con linea mediana dislocata di 5 mm. La paziente pertanto viene sottoposta a intervento neurochirurgico di exeresi della lesione espansiva cistica occipitale sinistra, con esame istologico definitivo che conferma l’origine mammaria della lesione e nuovamente la stessa biologia tumorale (ER 0, PgR 0, Ki67 70%, c-erb 3+).

La paziente viene quindi sottoposta a una RT stereotassica sulla cavità chirurgica (30Gy) e prosegue il trattamento con doppio blocco.

Alla RM encefalo effettuata nell’aprile 2022 compaiono nodularità in sede meningea lungo il profilo superiore del tentorio destro, la falce destra e la pachimeninge occipitale destra, con diametro massimo di 3 mm. L’esame citologico del liquor non ha evidenziato la presenza di cellule tumorali. La rivalutazione sistemica di malattia ha inoltre dimostrato una lieve progressione linfonodale mediastinica.

La paziente è stata sottoposta a trattamento radioterapico whole brain per 15 sedute per una dose totale erogata di 30Gy.

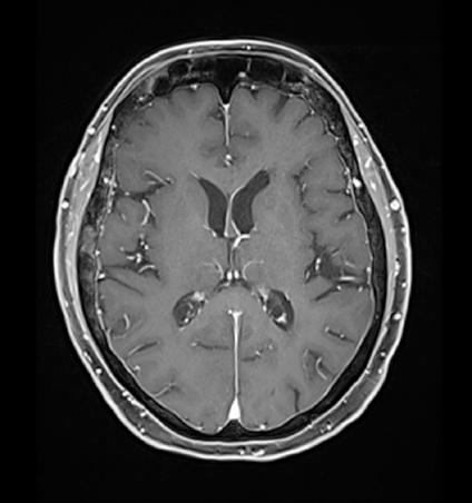
La paziente ha pertanto avviato una seconda linea di trattamento con T-DXd, ottenendo una progressiva riduzione delle lesioni meningee note ai successivi controlli mediante RM, fino ad arrivare a una situazione di stabilità che si mantiene tuttora a 24 mesi dall’avvio del trattamento (figura 1).

Discussione

Per quanto riguarda la scelta della terapia di prima linea, secondo le linee guida la scelta è caduta sull’impiego del doppio blocco in associazione a taxano. Lo

Figura 1. Immagini RM prima dell’avvio del trattamento e dopo 6 mesi.

studio clinico randomizzato CLEOPATRA ha valutato l’aggiunta di pertuzumab a T-DXd; pertuzumab, legandosi a un epitopo differente da quello riconosciuto da trastuzumab sulla porzione extracellulare di HER2, ne inibisce la dimerizzazione con altri membri della famiglia HER2. In questo studio, che ha arruolato 808 pazienti (di cui solo il 10% trattato con trastuzumab in fase adiuvante di malattia), l’aggiunta di pertuzumab ha determinato un significativo incremento delle risposte obiettive (ORR), della sopravvivenza libera da progressione (progression free survival - PFS) e della sopravvivenza globale (overall survival - OS), con un vantaggio rispettivamente di circa 6 e circa 16 mesi5. Quanto invece alla seconda linea, T-DXd, così come trastuzumab emtansine (T-DM1), è un Ab diretto contro HER2 e coniugato a un citotossico, un inibitore della topoisomerasi I, legato a un linker altamente stabile nel plasma e clivato selettivamente a livello delle cellule tumorali. TDxd ha una elevate ratio farmaco-anticorpo, che prevede la presenza di 8 molecole di payload su ciascuna molecola di Ab, mentre invece il T-DM1, il cui payload è un inibitore dei microtubuli, ha una ratio di 3,5. Inizialmente T-DXd è stato approvato dalla Food and Drug Administration (FDA) negli Stati Uniti come trattamento di terza linea per la malattia metastatica HER2 positiva sulla base dei risultati dello studio DESTINY-Breast01, uno studio di fase 2 che ne ha confermato l’efficacia in termini di ORR (61%) e PFS (16,4 mesi)6. Successivamente, nello studio DESTINY-Breast03, TDxd ha dimostrato un significativo miglioramento della sopravvivenza globale (PFS=28,8 mesi vs 6,8 mesi con una sopravvivenza globale ancora non rag-

giunta in entrambi i bracci) se confrontato a T-DM1 in pazienti pretrattate con trastuzumab (con o senza pertuzumab) e taxano, con una riduzione del rischio di morte di circa il 36%. Il beneficio in termini di OS è stato consistente in tutti sottogruppi, includendo anche quello con malattia cerebrale, con malattia viscerale e con precedente trattamento con pertuzumab, come il caso clinico analizzato7 (figura 2).

Lo studio HER2CLIMB è stato il primo studio randomizzato che ha dimostrato un miglioramento dell’attività antitumorale in termini di PFS e OS grazie alla terapia con tucatinib, trastuzumab e capecitabina in pazienti pesantemente pretrattate, incluse quelle con malattia cerebrale non trattata o in progressione dopo trattamento locoregionale8

Vi sono tuttavia dati che dimostrano l’attività di T-DXd anche in questo sottogruppo di pazienti: nello studio DEBBRAH, T-DXd ha determinato una percentuale di

risposte intracraniche intorno al 50%, con un vantaggio in termini di beneficio clinico e anche di PFS. Peraltro va sottolineato come tale percentuale di risposta non si discosti da quella riportata nel trial DESTINYBreast01, suggerendo una attività similare sia a livello centrale sia a livello sistemico 4 (figura 3). Questo era stato dimostrato anche con altri agenti anti-HER2, verosimilmente in relazione alla perdita di integrità della BEE. Per esempio, nello studio KAMILLA nel sottogruppo di pazienti con malattia cerebrale non precedentemente trattate con RT, la percentuale di risposta con T-DM1 era del 49%9.

Anche lo studio TUXEDO-1 ha riportato una buona attività del T-DXd in pazienti con malattia cerebrale: in 11 pazienti su 15, T-DXd ha dimostrato una risposta secondo i criteri RANO-BM, con una ORR superiore al 70% in una revisione centralizzata. La PFS è stata di 14 mesi, con una OS mediana non raggiunta a un follow-

Brain metastases at baseline

1.0

No brain metastases at baseline

2 4 6 8 10 12 14 16 18 20 22 24 26 28 30 32

Figura 2. PFS in pazienti con e senza metastasi cerebrali nello studio DESTINY-Breast037.

up di 12 mesi10 . Attualmente la paziente sta proseguendo il trattamento.

Conclusioni

I dati di letteratura riportati confermano l’attività intracranica del T-DXd10

È attualmente in corso, tra gli altri, lo studio DESTINYBreast01/02, volto a valutare in modo specifico l’attività di TDxd nella malattia cerebrale.

• Objective response rate (RANO-BM criteria)

• ORR (intention-to-treat population; n=15): 73.3% (95% CI 48.1-89.1) 25

• PFS: 14 months (95% CI 11.0-NR)

• Median follow-up 11 months (range 3-17 months)

0 5 10 15

• Clinical bene t rate (CR+PR+SD ≥6 months): 13/15 (86.7%) in the ITT population and 13/14 (92.9%) in the PP population.

• Median OS not reached

• Extracranial response rate:

- Patients with extracranial metastases at baseline (n=13): PR 5/13 (27.8%)

- Patients with measurable extracranial disease at baseline (n=8): PR 5/8 (62.5%)

Al momento possiamo affermare che TDxd è una valida opzione terapeutica in pazienti con malattia cerebrale.

Conflitto di interessi: l’autrice ha percepito diritti d’autore da Il Pensiero Scientifico Editore – soggetto portatore di interessi commerciali in ambito medico-scientifico.

Bibliografia

1. Istat, dati disponibili. http://dati.istat.it

2. Nader-Marta G, Martins-Branco D, De Azambuja E, et al. How we treat patients with metastatic HER2positive breast cancer. ESMO Open 2022; 7: 100343.

3. Bailleux C, Eberst L, Bachelot T, et al. Treatment strategies for breast cancer brain metastases. Br J Cancer 2021; 124: 142-55.

4. Pérez-García JM, Vaz Batista M, Cortez P, et al. Trastuzumab deruxtecan in patients with central nervous system involvement from HER2-positive breast cancer: The DEBBRAH trial. Neurooncol 2023; 25: 157-66.

5. Swain S, Baselga J, Kim S, et al.; CLEOPATRA Study Group. Pertuzumab, trastuzumab and docetaxel in HER2 positive metastatic breast cancer. N Engl J Med 2015; 372: 724-34.

6. Modi S, Saura C, Yamashita T, et al.; DESTINY-Breast01 Investigators. Trastuzumab deruxtecan in previously treated HER2-positive breast cancer. N Engl J Med 2020; 382: 610-21.

7. Hurvitz S, Hegg R, Chung W, et al. Trastuzumab deruxtecan versus trastuzumab emtansine in patients with HER2-positive metastatic breast cancer: updated results from DESTINY-Breast03, a randomised, open-label, phase 3 trial. Lancet 2023; 401: 105-17.

8. Lin NU, Borges V, Anders C, et al. Intracranial efficacy and survival with tucatinib plus trastuzumab and capecitabine for previously treated HER2-positive breast cancer with brain metastases in the HER2CLIMB trial. J Clin Oncol 2020; 38: 2610-9.

9. Montemurro F, Delaloge S, Barrios CH, et al. Trastuzumab emtansine (T-DM1) in patients with HER2-positive metastatic breast cancer and brain metastases: exploratory final analysis of cohort 1 from KAMILLA, a single-arm phase IIIb clinical trial. Ann Oncol 2020; 31: 1350-8.

10. Bartsch R, Berghoff A, Furtner J, et al. Trastuzumab deruxtecan in HER2-positive breast cancer with brain metastases: a single-arm, phase 2 trial. Nat Med 2022; 28: 1840-7.

Indirizzo per la corrispondenza: Alessandra Beano E-mail: alessandra.beano@gmail.com

Inquadra il QR code per vedere i #clinicalcase in versione video oppure clicca su https://lc.cx/9ukncF

Figura 3. ORR e PFS nello studio DEBBRAH4.

Caso clinico 2

Paziente con diagnosi di carcinoma mammario metastatico

HER2 positivo in trattamento di seconda linea con trastuzumab deruxtecan

Nadia Bianco

Senologia Medica, Istituto Europeo di Oncologia - IEO, Milano.

Introduzione

Il carcinoma mammario HER2 positivo rappresenta circa il 15%-20% di tutti i tumori mammari ed è caratterizzato da una maggiore aggressività biologica e una prognosi più sfavorevole.

I progressi nelle strategie di trattamento comprendenti farmaci a target HER2 come trastuzumab, un anticorpo monoclonale umanizzato che colpisce il dominio extracellulare di HER2 con attività antitumorale, hanno migliorato gli outcome in sopravvivenza dei pazienti con carcinoma mammario metastatico HER2 positivi.

Tuttavia, nonostante l’uso di trastuzumab, sono state nel tempo sviluppate opzioni e strategie terapeutiche più efficaci, necessarie per affrontare la progressione della malattia.

Il pertuzumab, inibendo HER2 con diverso meccanismo rispetto a trastuzumab, ha permesso una migliore attività antitumorale rispetto a trastuzumab da solo, soprattutto quando in associazione.

Lo studio CLEOPATRA ha valutato l’uso di pertuzumab, trastuzumab e docetaxel come trattamento di prima linea per i pazienti con carcinoma mammario avanzato HER2 positivo, diventando lo standard di cura in questo setting1.

Diversi agenti anti-HER2 sono stati poi studiati come seconda linea di trattamento tra i quali, a oggi, sono approvati dagli enti regolatori sia trastuzumab emtansine (T-DM1) sia trastuzumab deruxtecan (T-DXd). Il loro meccanismo d’azione e il profilo di tossicità hanno permesso di ottenere un migliore controllo della malattia oncologica, duraturo e con buoni profili di tossicità.

L’evoluzione degli studi ha poi permesso di accrescere le conoscenze implementando la gestione di tali farmaci e consentendo di posizionarli in setting sempre più precoci con risultati ancora più entusiasmanti. Anche in contesti come la malattia metastatica cerebrale, considerata da sempre difficile da controllare, si sono ottenuti con questi nuovi trattamenti dei significativi avanzamenti, con outcome del tutto inattesi.

Caso clinico

Viene qui descritto il caso di una paziente di 69 anni; in anamnesi, viene riportata ipertensione arteriosa in trattamento farmacologico, ben controllata con carvedilolo 25 mg ½ cp die, non allergie riferite, non familiarità per patologie oncologiche, in menopausa fisiologica dall’età di 55 anni.

Nel mese di settembre 2016 eseguiva il suo routinario screening senologico. Da mammografia ed ecografica mammaria bilaterale emergevano: a sinistra al quadrante infero-centrale/infero-interno opacità stellata sovracentimetrica, a margini spiculati; presenza di una formazione espansiva, ipoecogena, a margini spiculati con multipli peduncoli vascolari, diam max 16,2 mm; in sede ascellare omolaterale linfoghiandola sovracentimetrica da riferire a localizzazione secondaria.

Alla fine di settembre veniva eseguito agoaspirato mammario di sinistra (QIE): C5, che evidenziava presenza di CTM epiteliali compatibili con origine da neoplasia mammaria. Successivamente (24/10/2016) veniva sottoposta a intervento chirurgico di quadrantectomia della mammella sinistra con dissezione ascellare linfonodale omolaterale.

All’esame istologico definitivo si confermava la diagnosi di carcinoma duttale scarsamente differenziato multifocale con estesa invasione vascolare peritumorale, componente intraduttale di tipo cribriforme con necrosi. Metastasi linfonodali e perilinfonodali di carcinoma a 3 linfonodi di primo livello e a 2 di terzo li-

vello. Istiocitosi dei seni nei rimanenti 17 linfonodi esaminati.

Stadiazione patologica: pT2(m) pN2a(5/22).

Assetto recettoriale e frazione proliferante: positiva la determinazione immunocitochimica dei recettori per estrogeni (>95% delle cellule neoplastiche) e per progesterone (70% delle cellule neoplastiche). Intensa immunoreattività completa di membrana per HER2/ neu (HercepTest, Dako) nel 90% delle cellule neoplastiche (score 3+, secondo ASCO/CAP 2013). La frazione proliferante (Ki67) è pari al 32%. Dosaggio CA15-3: 731 K/UL (valore di riferimento >31,3 K/UL).

Pertanto si procedeva a completamento degli esami strumentali di staging.

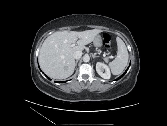
Con la PET/TC eseguita a novembre del 2016 si evidenziava la presenza di significative alterazioni di distribuzione del radiofarmaco a carico del fegato e a livello scheletrico, come da alterazioni di natura sostitutiva. In particolare, in corrispondenza del fegato, si segnalava significativa captazione focale a livello del settimo segmento e altra poco più cranialmente. Si evidenziavano poi plurime significative captazioni estese a tutto il rachide cervicale, dorsale e lombare (SuvMax fino a 18) oltre che a tutto il bacino, oltre che a livello delle coste bilateralmente, clavicola sx, manubrio sternale, entrambe le scapole, entrambe le teste e diafisi prossimali omerali, diafisi omerale destra, entrambi i femori a livello delle teste, delle regioni trocanteriche, maggiormente a sx, diafisi prossimali femorali, corrispettivo alle immagini TC ad alterazioni addensanti, in parte ad alterazioni litiche, in parte a malattia ancora in fase pre-radiologica (figura 1).

Pertanto dal 22/11/2016 all’8/03/2017 avvia terapia all’interno dello studio Metapher, con trastuzumab sottocute trisettimanale in associazione a pertuzumab ev e docetaxel trisettimanale per 6 cicli.

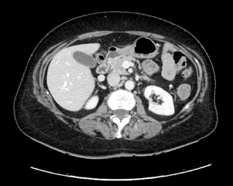
La TC torace e addome del gennaio 2017 viene confrontata con esame precedente del novembre 2016: si evidenzia riduzione dimensionale delle lesioni in S7, attualmente difficilmente parametrabili, che misurano rispettivamente 5 mm vs 8 mm, 6 mm vs 15 mm, 4 vs 6 mm. Per quanto valutabile con la metodica, risultano sostanzialmente stabili come numero le lesioni osteostrutturali a carattere misto, coinvolgenti pressoché tutti i segmenti scheletrici indagati. Esse presentano aspetto più addensato (figura 2).

La TC total body del 27/03/2017 viene confrontata con esami precedenti del 16/11/2016 e del 20/01/2017: non sono più riconoscibili le lesioni epatiche e rimane sostanzialmente stabile il quadro osseo.

Dal 29/03/2017 proseguiva terapia con trastuzumab sc + pertuzumab ev. Dal 9/04/2017 associava terapia ormonale con letrozolo 1 cp/die.

Le successive rivalutazioni TC eseguite circa ogni 3 mesi confermavano persistenza di quadro di stabilità di malattia ossea e di risposta completa a livello epatico.

1. TC/PET TB, novembre 2016.

Figura

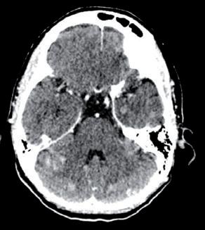
Nella TC total body del 14/02/2022 appariva sfumata l’area di enhancement contrastografico in sede corticale cerebellare sinistra di circa 14 mm, al di sotto del tavolato osseo, sospetta per localizzazione di malattia.

Viene rilevato lieve aumento dimensionale di alcune adenopatie retroperitoneali, una in sede interaortocavale di 6 mm (vs 3 mm). Sostanzialmente stabili le note localizzazioni ossee di malattia.

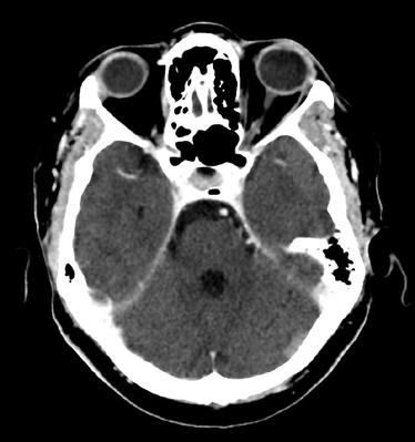
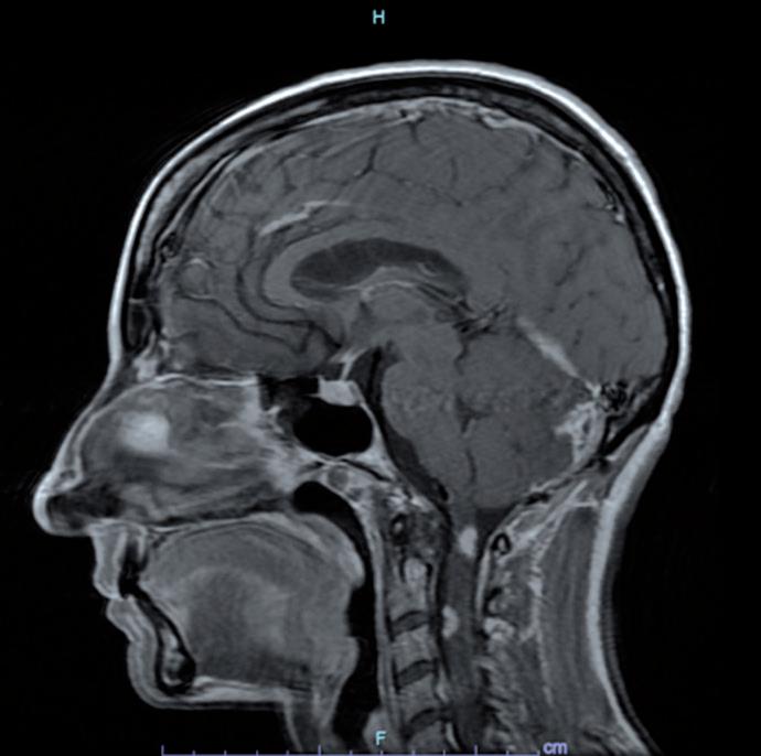
Alla RMN encefalo del 18/02/2022, in sede cerebellare sinistra si conferma la presenza di alterazione sospetta in senso ripetitivo di 15 mm, adesa alla dura madre.

Si evidenzia alterazione osteostrutturale patologica della teca cranica in sede temporo-parietale destra associata a ispessimento lineare della meninge adiacente (figura 3).

Dall’1/04/2022 viene effettuato trattamento radioterapico sintomatico a livello encefalico con risparmio dell’ippocampo con tecnica IMRT TomoHelical mediante fotoni X 6 MV fino alla dose di 30 Gy in 10 frazioni (3 Gy/fr).

Alla TC T+A del 30/06/2022 viene rilevata comparsa di piccolo difetto di riempimento lungo il decorso del

3.

TC e RMN encefalo con mdc, febbraio 2022.

Figura
Figura 2. TC T+A, gennaio 2017.

catetere di port venoso. Comparsa di piccoli linfonodi sospetti in senso patologico lungo il decorso dei vasi ipogastrici di destra con stabilità ossea di malattia.

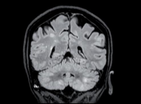
Alla RMN encefalo del 25/07/2022, in esiti di RT si evidenzia riduzione dimensionale di nota lesione in sede cerebellare sinistra adesa alla dura madre di circa 9 mm vs 15 mm. Sostanzialmente stabile la nota alterazione osteostrutturale patologica della teca cranica in sede temporoparietale destra associata a ispessimento lineare della meninge adiacente (figura 4).

Dal 3/08/2022 si avvia T-DXd 5,3 mg/kg nell’ambito del programma a uso nominale.

Con la TC T+A del 30/08/2022, appare risolto il difetto di riempimento in corrispondenza del tronco anonimo di destra. Si evidenzia riduzione dimensionale delle adenopatie lomboaortiche e iliache a destra, attualmente tutte millimetriche vs 7 mm in sede iliaca comune dx. Stabili le note localizzazioni ossee di malattia (figura 5).

Dal 16/11/2022 prosegue terapia a dose ridotta al I livello 4,4 mg/kg per quadro di anemizzazione G3 (hb 8,6 g/dl) per cui ha eseguito accesso al pronto soccor-

Figura 4. TC e RMN encefalo con mdc, luglio 2022.

so per intensa astenia e pertanto praticava emotrasfusione, con beneficio.

Nel mese di maggio 2024 al controllo cardiologico si registrava riduzione sintomatica della FEV per astenia moderata (ecocardiogramma FEV 47%) per cui si procedeva a sospensione temporanea della terapia con deruxtecan e introduzione di ramipril 2,5 mg die.

In data 04/07/2024 veniva effettuato nuovo controllo cardiologico con evidenza di recupero della FEV, per cui riavviava la terapia oncologica a dose invariata.

Alla TC T+A del 15/06/2023 si evidenzia comparsa di sfumato addensamento nel segmento laterale del LIS, in sede subpleurica, di verosimile significato flogistico, da rivalutare. Strie fibrotico-disventilative bibasali. Non linfoadenopatie sospette in sede addominopelvica.

In assenza di ulteriori segni e sintomi polmonari, ematologia nei limiti, si procedeva a terapia antibiotica con levofloxacina empirica per 10 gg, per cui proseguiva la terapia a dosi invariate. Si valutavano le immagini con il radiologo che poneva diagnosi di quadro infiammatorio alveolare non interstiziale.

Figura 5. TC T+A giugno 2022 vs TC T+A, agosto 2022.

Con la TC total body del 22/04/2024 si conferma quadro di stabilità e risposta completa persistente a livello osseo, epatico e cerebrale. Ad aprile 2024 venivano eseguiti 29 cicli complessivi di T-DXd.

Discussione ed evidenze scientifiche

Il doppio blocco di HER2 (pertuzumab e trastuzumab) in associazione alla terapia a base di taxani è diventato lo standard di cura di prima linea per il trattamento dei pazienti con carcinoma mammario avanzato HER2 positivo, dopo i risultati dello studio CLEOPATRA, mostrando una sopravvivenza globale (OS) mediana vicina ai 5 anni2.

Altri agenti anti-HER2 sono stati poi studiati come seconda linea di trattamento, a oggi sono approvati sia T-DM1 sia T-DXd.

T-DM1 era precedentemente raccomandato come terapia di seconda linea sulla base dei risultati del trial EMILIA3

T-DXd e T-DM1 sono due anticorpi coniugati composti di un anticorpo umanizzato anti-HER2 combinato con un potente agente citotossico. L’agente citotossico del T-DM1 è un inibitore dei microtubuli mentre per il deruxtecan si tratta di un inibitore della topoisomerasi I altamente stabile nel plasma e con una capacità selettiva di clivaggio nelle cellule tumorali. Questo favorisce una maggiore efficienza di trasporto e selettività verso le cellule tumorali che esprimono il recettore HER-2 e con conseguente riduzione degli effetti tossici collaterali.

La prima approvazione di T-DXd da parte della Food and Drug Administration (FDA) nel setting di terza linea per le pazienti con diagnosi di carcinoma mammario HER2 positivo metastatico erano basate sui primi risultati del DESTINY-Breast01, studio di fase 2 a singolo braccio che confermava ORR del 61% e una sopravvivenza libera da progressione (PFS) mediana di 16,4 mesi4.

Lo studio EMILIA era un trial randomizzato, in aperto, di fase 3 di T-DM1 versus capecitabina e lapatinib (hazard ratio [HR] 0,68)3

Il DESTINY-Breast03 era uno studio randomizzato, di fase 3 con T-DXd vs T-DM15.

T-DXd ha mostrato un miglioramento statisticamente significativo della sopravvivenza globale rispetto a TDM1, riducendo il rischio di morte di circa il 36% nelle pazienti con carcinoma mammario metastatico HER2

positivo precedentemente trattate con trastuzumab (con o senza pertuzumab) e un taxano con un beneficio consistente in termini di OS in tutti i sottogruppi analizzati. Anche la PFS mediana (28,8 mesi vs 6,8 mesi) e il tasso di risposta obiettiva confermata (79% vs 35%) osservati con T-DXd rispetto a T-DM1 erano clinicamente significativi e rappresentano i dati più lunghi riportati in PFS mediana in questo contesto. I benefici in termini di OS possono essere difficili da dimostrare negli studi clinici a causa del lungo followup richiesto e del ruolo dei trattamenti successivi6. Nello studio EMILIA, la durata mediana del follow-up è stata di 19,1 mesi, con una OS mediana di 30,9 mesi con T-DM1, mentre nello studio DESTINY-Breast03 la durata mediana del follow-up dello studio è stata di oltre 2 anni in entrambi i gruppi di trattamento e la OS mediana non è stata raggiunta.

Nonostante questo studio si svolgesse in un contesto terapeutico più avanzato, con T-DXd è stata osservata una PFS mediana sostanzialmente più lunga (28,8 mesi) rispetto a quella precedentemente osservata nel contesto di prima linea negli studi CLEOPATRA 2 e MARIANNE7 (18,5 mesi con pertuzumab, trastuzumab e docetaxel e 14,1 mesi con T-DM1). Tuttavia, date le differenze nelle popolazioni di pazienti analizzate e il cambiamento del panorama terapeutico del carcinoma mammario metastatico HER2 positivo, questi confronti storici dovrebbero essere interpretati con attenzione.

Le risposte antitumorali osservate con T-DXd hanno superato T-DM1 e sono state estremamente durature. Anche la durata mediana della risposta è stata più lunga di quella osservata nel contesto di prima linea nello studio CLEOPATRA (20,2 mesi [IC 95% 16,0-24,0]).

Questi risultati supportano ulteriormente l’attività antitumorale clinicamente significativa osservata con T-DXd e suggeriscono che i pazienti possono sottoporsi a lunghi periodi di trattamento con un controllo prolungato della malattia.

Con un follow-up più lungo, il profilo di sicurezza di T-DXd continua a risultare gestibile 6

Tossicità trastuzumab deruxtecan

Nello studio DESTINY-Breast03 il numero di pazienti con eventi avversi di grado 3 o superiore farmacospecifici era simile nei due gruppi. La durata mediana del trattamento è stata più lunga con T-DXd rispetto

a T-DM1, ma i tassi complessivi di eventi avversi di grado 3 o gravi erano simili tra i due gruppi8 .

Gli eventi avversi farmaco-specifici, per i quali si necessitava una riduzione di dose, avvenivano nel 25% dei pazienti del gruppo con T-DXd e nel 15% dei pazienti del gruppo con T-DM1, mentre la sospensione definitiva era del 20% nei pazienti del gruppo con T-DXd e del 7% nel gruppo con T-DM1.

La durata mediana del trattamento è stata più lunga con T-DXd rispetto a T-DM1, ma i tassi complessivi di eventi avversi di grado 3 o gravi erano simili tra i gruppi T-DXd e T-DM1.

La maggior parte degli eventi avversi emersi dal trattamento con T-DXd era di natura gastrointestinale o ematologica, nausea e vomito tra i più frequenti. Altro evento avverso farmaco relato al T-DXd aumentato dall’11% al 15% nella seconda analisi provvisoria della sopravvivenza globale (cut-off dei dati al 25 luglio 2022) era la malattia polmonare interstiziale, o polmonite, con un tempo mediano alla comparsa dell’evento di 8,1 mesi nel gruppo con T-DXd e 11,7 mesi nel gruppo con T-DM1.

Tuttavia, tutti i nuovi casi erano di basso grado (grado 1 o 2)9 anche in seguito all’implementazione delle linee guida per un’adeguata gestione della malattia polmonare interstiziale o della polmonite attuando un monitoraggio proattivo dei pazienti per segni e sintomi precoci e il trattamento immediato10

Sono in corso ulteriori studi per determinare l’efficacia e la sicurezza di T-DXd in pazienti con carcinoma mammario metastatico HER2 positivo nel contesto di prima linea e nella malattia in stadio iniziale.

Gestione dei pazienti con metastasi cerebrali

Sulla base dei risultati dello studio HER2CLIMB, la terapia di combinazione con tucatinib + trastuzumab + capecitabina è stata approvata dalla FDA per il trattamento di pazienti adulti con carcinoma mammario HER2 positivo non resecabile, avanzato o metastatico, compresi i pazienti con metastasi cerebrali11.

Nello studio DESTINY-Breast01, T-DXd ha mostrato attività clinica in pazienti con carcinoma mammario con metastasi cerebrali pretrattati con regimi a base di anti-HER2, compreso T-DM1.

Nei pazienti con metastasi cerebrali il tasso di risposta obiettiva confermato (cORR) è stato del 58,3% e la PFS mediana è stata di 18,1 mesi.

I risultati degli studi TUXEDO-112 e DEBBRAH13 supportano anche l’uso di T-DXd nelle pazienti con carcinoma mammario HER2 positivo con metastasi cerebrali. In uno studio di real life su una popolazione di 104 pazienti con carcinoma mammario HER2 positivo con metastasi cerebrali o metastasi leptomeningee, non trattate localmente e stabili, sia sintomatiche che asintomatiche in terapia con T-DXd, la PFS mediana è stata di 16,1 mesi e il tasso di OS a 12 mesi è stato del 74,9%14. In una meta-analisi recentemente pubblicata che includeva 319 pazienti, la PFS mediana è stata di 15 mesi.

L’ORR è stato del 61% e l’ORR intracranico (IC) è stato del 61%. Il tasso di beneficio clinico è stato dell’80% e il tasso di beneficio clinico IC è stato del 70%15

L’analisi relativa al sottogruppo di pazienti con metastasi cerebrali inclusi nello studio DESTINY-Breast03, di cui 43/261 pazienti erano randomizzati a T-DXd mentre 39/263 pazienti erano randomizzati a T-DM1.

Tra i pazienti con metastasi cerebrali al basale, 20/43 nel braccio T-DXd e 19/39 nel braccio con T-DM1 non avevano ricevuto un precedente trattamento per metastasi cerebrali locale.

La PFS mediana è stata di 15 mesi per T-DXd rispetto a 3 mesi per T-DM1. L’ORR sistemico è stato del 67,4% per T-DXd rispetto al 20,5% per T-DM1 e dell’82,1% per T-DXd rispetto al 36,6% per T-DM1 per pazienti con e senza metastasi cerebrali, rispettivamente. L’ORR intracranico è stato del 65,7% con T-DXd rispetto al 34,3% con T-DM115.

Conclusioni

Questo caso è esemplificativo della gestione della malattia HER2 positiva metastatica alla luce delle recenti evidenze scientifiche e in linea con gli outcome attesi. Gli effetti collaterali registrati si confermano essere compatibili con un’adeguata qualità di vita che persiste anche a lungo termine. Secondo gli ultimi dati, la gestione dei pazienti con presenza di metastasi cerebrali potrebbe cambiare, differendo il trattamento radioterapico nei casi considerati “responder” alla terapia sistemica, limitando in tal modo significativamente gli effetti tossici radioindotti.

Conflitto di interessi: l’autrice segnala rapporti di collaborazione con Novartis e Roche negli ultimi tre anni; ha inoltre percepito diritti d’autore da Il Pensiero Scientifico Editore -

soggetto portatore di interessi commerciali in ambito medico-scientifico.

Bibliografia

1. Swain SM, Baselga J, Kim SB, et al.; CLEOPATRA Study Group. Pertuzumab, trastuzumab, and docetaxel in HER2-positive metastatic breast cancer. N Engl J Med 2015; 372: 724-34.

2. Swain SM, Miles D, Kim SB, et al.; CLEOPATRA study group. Pertuzumab, trastuzumab, and docetaxel for HER2-positive metastatic breast cancer (CLEOPATRA): end-of-study results from a double-blind, randomised, placebo-controlled, phase 3 study. Lancet Oncol 2020; 21: 519-30.

3. Diéras V, Miles D, Verma S, et al. Trastuzumab emtansine versus capecitabine plus lapatinib in patients with previously treated HER2-positive advanced breast cancer (EMILIA): a descriptive analysis of final overall survival results from a randomised, open-label, phase 3 trial. Lancet Oncol 2017; 18: 732-42.

4. Modi S, Saura C, Yamashita T, et al.; DESTINY-Breast01 Investigators. Trastuzumab deruxtecan in previously treated HER2-positive breast cancer. N Engl J Med 2020; 382: 610-21.

5. Hurvitz SA, Kim SB, Chung W-P, et al. Trastuzumab deruxtecan versus trastuzumab emtansine in HER2-positive metastatic breast cancer patients with brain metastases from the randomized DESTINYBreast03 trial. ESMO Open 2024; April.

6. Hurvitz SA, Hegg R, Chung WP, et al. Trastuzumab deruxtecan versus trastuzumab emtansine in patients with HER2-positive metastatic breast cancer: updated results from DESTINY-Breast03, a randomised, open-label, phase 3 trial. Lancet 2023; 401: 105-17.

7. Perez EA, Barrios C, Eiermann W, et al. Trastuzumab emtansine with or without pertuzumab versus trastuzumab plus taxane for human epidermal growth factor receptor 2-positive, advanced breast cancer: primary results from the Phase III MARIANNE Study. J Clin Oncol 2017; 35: 141-8.

8. Cortés J, Kim SB, Chung WP, et al. Trastuzumab deruxtecan versus trastuzumab emtansine for breast cancer. N Engl J Med 2022; 386: 1143-54.

9. Soares LR, Vilbert M, Rosa VDL, et al. Incidence of interstitial lung disease and cardiotoxicity with trastuzumab deruxtecan in breast cancer patients: a systematic review and single-arm meta-analysis. ESMO Open 2023; 8: 101613.

10. Swain SM, Nishino M, Lancaster LH, et al. Multidisciplinary clinical guidance on trastuzumab deruxtecan (T-DXd)-related interstitial lung disease/ pneumonitis: focus on proactive monitoring, diagnosis, and management. Cancer Treat Rev 2022; 106: 102378.

11. Lin NU, Murthy RK, Abramson V, et al. Tucatinib vs placebo, both in combination with trastuzumab and capecitabine, for previously treated ERBB2 (HER2)positive metastatic breast cancer in patients with

brain metastases: updated exploratory analysis of the HER2CLIMB randomized clinical trial. JAMA Oncol 2023; 9: 197-205.

12. Bartsch R, Berghoff AS, Furtner J, et al. Trastuzumab deruxtecan in HER2-positive breast cancer with brain metastases: a single-arm, phase 2 trial. Nat Med 2022; 28: 1840-7.

13. Pérez-García JM, Vaz Batista M, Cortez P, et al. Trastuzumab deruxtecan in patients with central nervous system involvement from HER2-positive breast cancer: The DEBBRAH trial. Neuro Oncol 2023; 25: 157-66.

14. Niikura N, Yamanaka T, Nomura H, et al. Treatment with trastuzumab deruxtecan in patients with HER2-positive breast cancer and brain metastases and/or leptomeningeal disease (ROSET-BM). NPJ Breast Cancer 2023; 9: 82.

15. Michelon I, Vilbert M, Marinho AD, et al. Trastuzumab deruxtecan in human epidermal growth factor receptor 2-positive breast cancer brain metastases: a systematic review and meta-analysis. ESMO Open 2024; 9: 102233.

Indirizzo per la corrispondenza: Nadia Bianco

UO Senologia Medica

Istituto Europeo di Oncologia Via Ripamonti 435 20141 Milano

E-mail: nadia.biancoieo.it

Inquadra il QR code per vedere i #clinicalcase in versione video oppure clicca su https://lc.cx/9ukncF

Caso clinico 3

Terapia di seconda linea con trastuzumab deruxtecan in carcinoma mammario metastatico

HER2 positivo

Introduzione

Nell’ultimo decennio, gli anticorpi farmaco coniugati (antibody-drug conjugate - ADC) sono entrati nell’algoritmo terapeutico di molteplici neoplasie solide ed ematologiche, grazie alla loro capacità di veicolare l’agente citotossico direttamente nelle cellule neoplastiche, massimizzando l’effetto della chemioterapia e riducendone l’esposizione sistemica e la tossicità a essa relate1 Trastuzumab deruxtecan (T-DXd) è un ADC composto da un anticorpo monoclonale anti-HER2 con la stessa sequenza aminoacidica di trastuzumab, legato in modo covalente tramite un linker scindibile tetrapeptidico a deruxtecan, un inibitore della topoisomerasi I. T-DXd è stato approvato per il trattamento di pazienti con carcinoma mammario non resecabile o metastatico HER2 positivo dopo uno o più regimi a base di antiHER2 nel setting metastatico o che abbiano presentato una progressione di malattia in corso di trattamento (neo)adiuvante o entro 6 mesi dal termine dello stesso. Tale approvazione deriva dai risultati dello studio DESTINY-Breast03, che ha dimostrato un miglioramento della sopravvivenza anche in pazienti pesantemente pretrattati2,3. Lo studio di fase III DESTINY-Breast03 ha inoltre stabilito il ruolo del T-DXd nella seconda linea del carcinoma mammario HER2 positivo, evidenziando un vantaggio in PFS di 28,8 mesi contro i 6,8 mesi del T-DM1 (HR 0,33, p<0,0001) (figura 1). Il T-DXd, come gli

altri ADC, ha dimostrato di avere un profilo di effetti collaterali favorevole, per l’elevata selettività dell’attività antineoplastica. Nausea e vomito di ogni grado sono le tossicità più frequenti, riportate rispettivamente di ogni grado nel 77,7% e nel 45,7% delle pazienti del DESTINY-Breast01 e nel 75,9% e 49% delle pazienti del DESTINY-Breast03. Inoltre la nausea è stata la principale causa di riduzione di dose del T-DXd nel DESTINY-Breast03, nel 6,2% delle pazienti4,5.

Le linee guida MASCC ed ESMO del 2023 riguardanti la prevenzione e il trattamento della nausea indotta da chemioterapia hanno classificato il T-DXd tra gli agenti moderatamente emetogeni, definiti come farmaci con rischio emetico fra il 30 e il 90% dei pazienti6. I dati di tossicità riportati negli studi registrativi confermano il moderato potere emetogeno ma con percentuali vicine ai farmaci ad alto potere emetogeno; infatti le linee guida dell’NCCN hanno recentemente incluso in questa categoria, insieme al sacituzumab-govitecan7

Effettuare in tutte le pazienti la profilassi primaria di nausea e vomito e sapere gestire questi eventi in modo efficace è di cruciale importanza per non inficiare la qualità di vita delle pazienti e per garantire l’aderenza al trattamento, considerando che il T-DXd andrà somministrato senza pause fino a progressione di malattia o tossicità.

Caso clinico

Paziente di 54 anni, in anamnesi ipercolesterolemia in terapia con atorvastatina e allergia al mezzo di contrasto iodato.

L’anamnesi oncologica inizia a marzo 2011 con riscontro all’autopalpazione di nodulo mammario dx per cui esegue approfondimento con mammografia e agobiopsia mammaria con diagnosi di carcinoma duttale infiltrante di origine mammaria.

Nell’aprile 2011 subisce un intervento chirurgico di quadrantectomia QIE della mammella dx e linfoadenectomia ascellare omolaterale.

All’EI: carcinoma duttale infiltrante, G3, pT1c(1.4cm) pN3a(9/18).

Profilo biologico: ER 70%, PgR 60%, Ki67 30%, HER2 positivo (IHC score 3+).

Trattamento adiuvante

Da giugno 2011 a gennaio 2012 effettua chemioterapia sequenziale secondo schema EC (epirubicina 90 mg/

mq - ciclofosfamide 600 mg/mq) q21 x 4 cicli; seguita da paclitaxel 80 mg/mq q7 + trastuzumab 2 mg/kg q7 (loading dose 4 mg/kg d1c1) x 12 settimane.

Da gennaio 2012 a settembre 2012 trastuzumab 6 mg/ kg q21 a completamento dell’anno di terapia.

Da gennaio 2012 trattamento antiormonale adiuvante con tamoxifene 20 mg 1 cpr die.

Trattamento radioterapico complementare su parenchima mammario dx residuo e stazioni linfonodali.

Recidiva di malattia e terapia di prima linea

A giugno 2017 comparsa di metastasi ossea sternale e polmonari bilaterale alla PET/TC eseguita per persistenza di algie sternali.

Da luglio 2017 a ottobre 2017 trattamento di prima linea con pertuzumab 420 mg (loading dose 840 mg d1c1),

trastuzumab 6 mg/kg (loading dose 8 mg/kg d1c1) e docetaxel 75 mg/mq q21 x 6 cicli ottenendo risposta metabolica parziale alla PET/TC di rivalutazione.

Da novembre 2017 terapia di mantenimento con pertuzumab 420 mg e trastuzumab 6 mg/kg q21 a cui viene aggiunto letrozolo 2,5 mg 1 cpr die.

Ad aprile 2022 oligoprogressione linfonodale mediastinica per cui esegue trattamento radioterapico a livello dei linfonodi mediastini sede di progressione, alla dose di 24 Gy in 3 frazioni.

Prosegue con la terapia di mantenimento con pertuzumab, trastuzumab e letrozolo fino a ottobre 2022, quando viene interrotta per progressione linfonodale e polmonare di malattia alla PET/TC di rivalutazione (figura 2).

Figura 1. PFS e OS in pazienti trattate con T-DXd a confronto con T-DM1 (studio DESTiNY-Breast03)4.

Trastuzumab deruxtecan

Median, months (95% CI) HR (95% CI) Nominal p value

Trastuzumab emtansine

(0.26-0.43) <0.0001

Censor

Trastuzumab deruxtecan (n=261)

Trastuzumab emtansine (n=263)

Trastuzumab deruxtecan

Trastuzumab emtansine

Censor

Trastuzumab deruxtecan (n=261)

Trastuzumab emtansine (n=263)

Trastuzumab deruxtecan

Trastuzumab emtansine

Trastuzumab deruxtecan

Trastuzumab emtansine NR (40.5-NE)

Terapia di seconda linea

Da dicembre 2022, considerando i dati dello studio DESTINY-Breast034,5, viene avviata terapia con T-DXd 5,4 mg/kg q21 ottenendo risposta metabolica completa alla rivalutazione PET/TC di marzo 2023 (figura 3). Ad aprile 2024 terapia ancora in corso (16 somministrazioni ricevute).

Tolleranza e tossicità riportate

Considerando la storia clinica di nausea e vomito G2 (tabella 1) in corso di chemioterapia adiuvante, abbiamo deciso di potenziare la premedicazione antiemetica, fin dal primo ciclo, utilizzando netupitant/palonosetron 300 mg/0,5 mg per os e desametasone 8 mg ev. Inoltre, abbiamo consigliato post-medicazione con assunzione di desametasone 8 mg per os il giorno 2 e il giorno 3. Nonostante ciò la paziente ha riportato nausea G2 per 7 giorni dopo l’infusione e nausea G1 per i successivi 14 giorni, senza beneficio da metoclopramide 10 mg per os, assunta al bisogno.

Dal secondo ciclo abbiamo quindi potenziato la postmedicazione con desametasone 8 mg die per 3 giorni, seguiti da 4 mg die per ulteriori 3 giorni con parziale beneficio che ha determinato un miglioramento dell’alimentazione per os ma persistenza di nausea G1 prolungata.

Dal terzo ciclo, considerando la persistenza di nausea G1 costante e la titubanza della paziente a proseguire con la terapia con T-DXd, abbiamo deciso di ridurne il dosaggio a 4,4 mg/kg q21, proseguendo con premeditazione con netupitant/palonosetron 300 mg/0,5 mg per os e desametasone 8 mg ev e post-medicazione con desametasone 8 mg die per 3 giorni, seguiti da 4 mg die per ulteriori 3 giorni. In questo modo c’è stato un miglioramento della nausea, non più costante ma G1 saltuaria, con conseguente prosecuzione della terapia con T-DXd senza interruzioni e con una buona qualità della vita.

Approfondimento

sulla gestione della nausea

La nausea è l’evento avverso più frequentemente osservato in corso di terapia con T-DXd. Nello studio DESTINY-Breast03 il 72,8% delle pazienti ha riportato nausea di qualsiasi grado e il 6,6% delle pazienti nausea di grado ≥34,5. Sulla base di questi dati il T-DXd è stato classificato come farmaco a moderato potere

Figura 2. PET/TC con FDG alla progressione di malattia prima dell’avvio di T-DXd.

Figura 3. Prima rivalutazione PET/TC con FDG in corso di T-DXd.

emetogeno 6, categoria che abbraccia una vasta gamma di terapie, con una probabilità di determinare nausea e/o vomito tra il 30 e il 90% dei pazienti trattati. Recentemente, invece, le linee guida NCCN hanno inserito T-DXd tra i farmaci altamente emetogeni, insieme a sacituzumab govitecan, probabilmente considerando i dati emergenti dall’utilizzo di tale farmaco nella real life7.

Tabella 1. Gradi di nausea, CTCAE v5.0 (Common Terminology Criteria for Adverse Events).

Grado 1 Perdita dell’appetito senza alterazione delle abitudini alimentari.

Grado 2 Diminuzione dell’alimentazione per os senza significativa perdita di peso, disidratazione o malnutrizione.

Grado 3 Inadeguata assunzione per os di calorie o di liquidi, necessaria nutrizione artificiale tramite sondino o nutrizione parenterale totale o necessario ricovero ospedaliero.

Tabella 2. Protocollo di profilassi antiemetica per la somministrazione di T-DXd all’Ospedale San Raffaele9.

Primo ciclo: desametasone + antagonista recettore 5-HT3 (desametasone + antagonista recettore 5-HT3 + antagonisti recettore NK1 in casi selezionati)

Giorno 1 Desametasone 8 mg ev + palonosetron 0,25 mg ev (o 0,5 mg per os) prima dell’infusione (regime da preferire).

Desametasone 8 mg ev + ondansetron 8 mg ev (o 8 mg per os x 2 die) prima dell’infusione (regime alternativo).

Giorno 2-3

Desametasone 4 mg per os (o 8 mg per os) die +/- metoclopramide 10 mg cpr (fino a 3 volte die).

Secondo ciclo e successivi: desametasone + antagonista recettore 5-HT3 (se controllo ottimale) o desametasone + antagonista recettore 5-HT3 + antagonisti recettore NK1 (se controllo sub ottimale)

Se si è ottenuto il controllo ottimale al primo ciclo (o successivi), la profilassi usata deve essere mantenuta successivamente.

Se il controllo ottimale non è stato raggiunto al primo o ai successivi cicli, dal secondo o dai successivi è raccomandata un’escalation del regime antiemetico (o regime similare, includendo antagonisti del recettore NK1)

Giorno 1 Desametasone 12 mg ev + netupitant 300 mg e palonosetron 0,5 mg per os

Giorno 2-4

Desametasone 8 mg per os die +/- metoclopramide 10 mg cpr (fino a 3 volte die)

Per i pazienti che lamentano nausea o vomito nonostante l’incremento della profilassi con l’aggiunta di antagonisti del recettore NK1

Giorno 1-4

Olanzapina (5-10 mg per os die)

Per la gestione della nausea ritardata

Dal giorno 4

Metoclopramide 10 mg cpr (fino a 3 volte die) +/- desametasone 4 mg per os (giornalmente fino alla risoluzione del sintomo).

Considerare l’assunzione di benzodiazepine (lorazepam).

La nausea in corso di T-DXd è solitamente di grado 1 o 2 (tabella 1) ma spesso protratta per molti giorni durante il ciclo, influenzando negativamente la qualità della vita. I meccanismi alla base dell’elevata incidenza di nausea e vomito in corso di T-DXd non sono ancora completamente compresi, ma è possibile che l’esposizione prolungata a T-DXd, che ha un’emivita di oltre 6 giorni, possa contribuire alla genesi di questi effetti collaterali8 .

Prevenire e gestire la tossicità gastrica diventa quindi di fondamentale importanza fin dal primo ciclo, per limitare l’impatto sulla qualità della vita e per favorire l’aderenza ai trattamenti.

La profilassi antiemetica ideale in corso di T-DXd e ADC, in generale, è ancora controversa. Diversi gruppi hanno pubblicato delle linee guida su questo argomento9-11 e nella tabella 2 è riportato un esempio di profilassi, in corso presso l’Ospedale San Raffaele, e supportata da un gruppo di opinion leader italiani9. Un regime a due farmaci (desametasone e antagonisti del recettore 5-HT3) può essere efficace in molti modi 6 . In caso di scarso controllo della sintomatologia dopo il primo ciclo di terapia, è raccomandato un pronto potenziamento della profilassi passando a un regime a 3 farmaci, aggiungendo quindi un antagonista del recettore NK19.

Alcuni dati di letteratura12, supportati dal recente inserimento del T-DXd tra i farmaci a elevato potere emetogeno nelle linee guida NCCN7, hanno valutato una profilassi a 3 farmaci in tutti i pazienti, e nella pratica clinica ci si sta sempre più orientando in questa direzione. Sicuramente, in presenza di fattori legati alla paziente o alla sua storia clinica che potrebbero aumentare il potenziale emetogeno del T-DXd (per es., la sede delle localizzazioni neoplastiche, l’età e il sesso femminile, stipsi o precedente nausea indotta da chemioterapia), è raccomandata una profilassi con uno schema a 3 farmaci fin dal primo ciclo di terapia. In caso di nausea e vomito particolarmente refrattari, si può valutare l’aggiunta di olanzapina, che agisce come antiemetico ad ampio spettro, interagendo con recettori dopaminergici, sertoninergici, con il recettore adrenergico alfa1 e il recettore H1 dell’istamina, come consigliato per i farmaci a elevato potere emetogeno6 .

Conclusioni

Il caso clinico presentato conferma i dati di attività ed efficacia di T-DXd come terapia di seconda linea nel carcinoma mammario metastatico HER2 positivo. È inoltre esemplificativo di come le pazienti, se ben supportate anche con eventuali schemi personalizzati di terapia antiemetica, possano proseguire con il trattamento con T-DXd, mantenendo una buona qualità della vita. Il potenziamento progressivo della terapia di supporto ha favorito l’aderenza alla terapia con T-DXd, ottenendo e mantenendo fino a ora risposta metabolica completa alla PET/TC.

Conflitto di interessi: l’autrice segnala rapporti di collaborazione con Novartis, Astrazeneca, Eli Lilly; ha inoltre percepito diritti d’autore da Il Pensiero Scientifico Editore - soggetto portatore di interessi commerciali in ambito medicoscientifico.

Bibliografia

1. Criscitiello C, Morganti S, Curigliano G. Antibody-drug conjugates in solid tumors: a look into novel targets. J Hematol Oncol 2021; 14: 20.

2. Modi S, Saura C, Yamashita T, et al. Trastuzumab deruxtecan in previously treated HER2-positive breast cancer. N Engl J Med 2020; 382: 610-21.

3. André F, Hee Park Y, Krop I, et al. Trastuzumab deruxtecan versus treatment of physician’s choice in patients with HER2-positive metastatic breast cancer

(DESTINY-Breast02): a randomised, open-label, multicentre, phase 3 trial. Lancet 2023; 401: 1773-85.

4. Cortés J, Kim S-B, Chung W-P, et al. Trastuzumab deruxtecan versus trastuzumab emtansine for breast cancer. N Engl J Med 2022; 386: 1143-54.

5. Hurvitz SA, Hegg R, Chung WP, et al. Trastuzumab deruxtecan versus trastuzumab emtansine in patients with HER2-positive metastatic breast cancer: updated results from DESTINY-Breast03, a randomised, open-label, phase 3 trial. Lancet 2023; 401: 105-17.

6. Herrstedt J, Clark-Snow R, Scotté F, Ruhlmann A, Molassiotis I. 2023 MASCC and ESMO guideline update for the prevention of chemotherapy- and radiotherapy-induced nausea and vomiting. ESMO Open 2024; 9: 102195.

7. National Comprehensive Cancer Network. NCCN Clinical Practice Guidelines in Oncology. Antiemesis v.2.2023 – May 24, 2023.

8. Doi T, Shitara K, Naito Y, et al. Safety, pharmacokinetics, and antitumour activity of trastuzumab deruxtecan (DS-8201), a HER2-targeting antibody-drug coniugate, in patients with advanced breast and gastric or gastro-oesophageal tumors: a phase 1 dose-escalation study. Lancet Oncol 2017; 18: 1512.22.

9. Bianchini G, Arpino G, Pappagallo G, et al. Emetogenicity of antibody-drug conjugates (ADCs) in solid tumors with a focus on trastuzumab deruxtecan: insights from an italian expert panel. Cancers Basel 2022; 14: 1022.

10. Rugo HS, Bianchini G, Cortes J, et al. Optimizing treatment management of trastuzumab deruxtecan in clinical practice of breast cancer. ESMO Open 2022; 7: 100553.

11. Ciruelos E, Garcia-Saenz JA, Gavila J, Martín M, Rodríguez CA, Rodríguez-Lescure Á. Safety profile of trastuzumab deruxtecan in advanced breast cancer: expert opinion on adverse event management. Clin Transl Oncol 2024; Feb 9.

12. Iihara H, Shimokawa M, Futamura M, et al. Doublet or triplet antiemetic prophylaxis for nausea and vomiting induced by trastuzumab deruxtecan: an open-label, randomized, and multicenter exploratory phase 2 study. J Cancer 2023; 14: 2644-54.

Indirizzo per la corrispondenza:

Lucia Da Ros

SOC Oncologia Medica e Prevenzione Oncologica

IRCCS CRO Aviano

Via Franco Gallini 2 33081 Aviano (Pordenone)

E-mail: lucia.daros@cro.it

Inquadra il QR code per vedere i #clinicalcase in versione video oppure clicca su https://lc.cx/9ukncF

Caso clinico 4

Trastuzumab

deruxtecan in tumore della mammella HER2 positivo stadio IV de novo: efficacia e rapidità di risposta in paziente

in progressione precoce alla terapia di prima linea

Alice Giaquinto ASST dei Sette Laghi, Varese.

Introduzione

Circa il 15-20% dei carcinomi della mammella presenta un’aumentata espressione del recettore per il fattore di crescita epidermico umano 2 (HER2). Le terapie mirate, in particolare i farmaci anti-HER2, hanno cambiato la storia del carcinoma della mammella metastatico, determinando in molti casi una lunga aspettativa di vita, molto più elevata rispetto al passato. Trastuzumab deruxtecan (noto anche come T-DXd e DS-8201) è un anticorpo farmaco coniugato (ADC), costituito da un anticorpo monoclonale umanizzato antiHER2 legato a un inibitore della topoisomerasi I tramite un linker scindibile tetrapeptidico, che presenta un meccanismo d’azione altamente selettivo a livello delle cellule tumorali che iperesprimono HER2, con la potenzialità quindi di ridurre gli effetti collaterali sistemici. Lo studio registrativo DESTINY-Breast031 ha confrontato testa a testa i due anticorpi coniugati disponibili dopo trattamento di prima linea ovvero T-DXd e trastuzumab-emtansine (TDM-1), antagonista importante perché a sua volta aveva dimostrato un vantaggio in sopravvivenza rispetto allo standard precedente2,3. Le pazienti incluse nello studio erano tutte pretrattate con

un taxano e trastuzumab, e buona parte di loro anche con pertuzumab. T-DXd ha dimostrato una riduzione del 36% del rischio di morte e il 77,4% dei pazienti era vivo a due anni rispetto al 69,9% con TDM-1. Si è inoltre visto un vantaggio molto significativo in termini di PFS passando da 6,8 mesi di mediana con TDM-1 a oltre 28,8 mesi di mediana con T-DXd. Alla luce del beneficio clinico statisticamente significativo riportato nello studio DESTINY-Breast03 e dell’accettabile profilo di tossicità, T-DXd rappresenta il nuovo standard di cura di seconda linea per il carcinoma mammario HER2 positivo.

Caso clinico

La paziente è una donna di 55 anni, 57 kg, altezza 159 cm, BMI 22,5 e performance status ECOG 0. La signora non fuma, ha una dieta regolare, non riferisce allergie a farmaci e alimenti, è in post-menopausa, nullipara, non ha familiarità per tumori mammari/ovarici.

La signora si presenta all’attenzione della nostra Breast Unit in aprile 2023 per la presenza di una voluminosa formazione vegetante ai quadranti inferiori della mammella sinistra con progressiva ulcerazione e comparsa di ulteriori nodulazioni limitrofe affioranti la cute. La paziente presentava anche una ulcerazione in sede ascellare sinistra in corrispondenza di voluminoso pacchetto linfonodale non chiaramente delimitabile (almeno 8 cm) Concomitava linfedema dell’arto superiore omolaterale.

La paziente è stata sottoposta a punch biopsy della neoformazione mammaria sinistra con diagnosi istologica di infiltrazione dermica di carcinoma mammario non special type G3, ER e PgR negativi HER2 positivo (FDA 3+) Ki67 90%.

La stadiazione sistemica è stata effettuata mediante scintigrafia ossea e TC total body con mdc. La TC con mdc ha evidenziato la presenza di voluminosa eteroplasia mammaria di sinistra con aspetto multi nodulare plurifocale con estensione alla stazione linfonodale infraclaveare e ascellare di questo lato. Apparentemente conservato il piano di clivaggio rispetto alla parete toracica sottostante. Adenopatie interessanti le stazioni del mediastino superiore con diametro singolo sino a 4 cm ed estese bilateralmente lungo la linea mediana. Altre adenopatie in corrispondenza della stazione della carena tracheale e dell’ilo di sinistra. Alla cupola epatica destra evidente centimetrica nodulazione con enhancement marginale e verosimile componente necrotica centrale

sospetto per secondarismo. Centimetrica area di lisi verosimilmente secondaria del margine laterale sinistro al III medio dello sterno. Encefalo negativo. La scintigrafia ossea ha dimostrato un discreto iperaccumulo del tracciante osteotropo al margine sinistro del corpo sternale, dubbio per possibile infiltrazione di nota malattia.

Trattamento

In considerazione dello stadio di malattia la paziente ha avviato trattamento di I linea standard secondo schema pertuzumab (420 mg) + trastuzumab (6 mg/ kg) q21 + paclitaxel (80 mg/mq) q74.

Dopo 4 cicli di terapia, alla TC total body con mdc di ristadiazione di agosto 2023 si evidenziava remissione parziale della malattia in sede mammaria sinistra, linfonodale infraclaveare sinistra, ascellare e mediastinica e della metastasi epatica. Veniva però riscontrata la comparsa di lesioni cerebrali millimetriche e di linfonodi patologici in sede laterocervicale bilateralmente.

All’obiettività la mammella sinistra presentava una massa palpabile prevalente dei quadranti esterni dura con interessamento anche del prolungamento ascellare, a livello cutaneo ai QI area nodulare di 1 cm ulcerata in riduzione rispetto all’avvio del trattamento. Si evidenziava la comparsa di linfonodo duro laterocervicale destro di 2x3 cm, altro linfonodo duro sovraclaveare posteriore sinistro (regione pre-scapolare). Assenza di deficit neurologici.

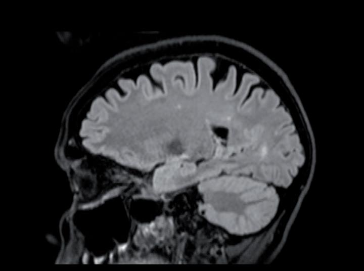
Alla RMN encefalo con mdc di approfondimento venivano evidenziate plurime lesioni ripetitive (almeno 10)

in sede sovratentoriale (diametro massimo 10x12 mm in sede temporale destra) circondate da alone di edema. Ulteriore lesione sospetta in sede sottotentoriale vermiana paramediana destra (2,5x2,5 mm circa) (figura 1a e 1b).

Per la progressione encefalica e linfonodale a livello del collo si è optato per trattamento radiante panencefalico e a passaggio a terapia di seconda linea con T-DXd5. Dal 23 ottobre al 6 novembre 2023 la paziente è stata pertanto sottoposta a radioterapia su encefalo in toto (30Gy tot 3Gy/frazione in 10 frazioni). Al termine della radioterapia, nel dicembre 2023, la paziente ha avviato 1° ciclo di T-DXd (5,4 mg/kg q21).

Alla TC total body con mdc di ristadiazione di febbraio 2024 (dopo 5 cicli di terapia con T-DXd) si è evidenziato un quadro di remissione completa in tutte le sedi di malattia interessate: encefalica, mammaria, epatica e linfonodale.

Anche all’obiettività clinica non risulta più evidente la massa mammaria destra occupante in precedenza i quadranti esterni. Non più palpabile il linfonodo duro laterocervicale destro, scomparsa del linfonodo sovraclaveare posteriore sinistro.

Follow-up

T-DXd si è dimostrato efficace nella nostra paziente sia nei confronti della malattia primitiva mammaria sia nelle sedi metastatiche intra ed extracraniche (figura 2a e 2b). Al momento della stesura del caso clinico, la paziente sta proseguendo la terapia di seconda linea

Figura 1a e 1b. Evoluzione della neoplasia mammaria primitiva dalla diagnosi in aprile 2023 alla risposta dopo 7 cicli di T-DXd in aprile 2024.

con T-DXd con monitoraggio della funzionalità cardiaca e sta dimostrando una buona tolleranza al trattamento (nausea G1) nonché mantenimento di una normale attività di vita quotidiana.

Discussione

Il caso clinico ci permette di considerare innanzitutto la rapidità di azione del farmaco evidenziata sia dall’imaging radiologico TC alla prima rivalutazione sia dalla risposta obiettivabile a livello della neoformazione primitiva mammaria e delle stazioni linfonodali satelliti in una paziente poor responder alla terapia di prima linea.

In secondo luogo pone l’accento su un altro punto critico di interesse in questo sottogruppo di pazienti che riguarda il noto tropismo della malattia HER2 positiva per i tessuti cerebrali e la questione aperta sulla necessità di ricorrere ancora in prima battuta alla radioterapia encefalica avendo a disposizione nuovi farmaci in grado di attraversare la barriera ematoencefalica. Nel nostro caso la presenza di una progres-

Figura 2a e 2b. Risposta intracranica completa dopo RT e T-DXd.

2a

2b

sione di malattia anche al di fuori del sistema nervoso centrale (SNC) ha determinato la scelta di cambiare comunque la terapia sistemica in corso fino a quel momento passando alla somministrazione di T-DXd a seguito del trattamento radiante panencefalico con evidenza alla prima rivalutazione sistemica di una risposta su tutte le sedi di malattia coinvolte.

La ricerca nel campo del trattamento sistemico in questo setting di malattia si è inizialmente focalizzata sulle piccole molecole inibitori delle tirosin-chinasi per la loro piccola massa molecolare in contrasto a grosse molecole quali gli anticorpi farmaco coniugati che vengono considerati inefficaci nell’attraversare la barriera ematoencefalica.

La combinazione infatti di tucatinib, trastuzumab e capecitabina ha mostrato un tasso di risposta del 47,3% rispetto al 20% del gruppo trattato con trastuzumab capecitabina nelle pazienti con metastasi cerebrali non trattate nello studio HER2CLIMB6. L’aggiunta di tucatinib ha comportato un miglioramento della mediana di PFS da 4,1 mesi a 9,5 mesi con una OS che è passata da 11,6 mesi a 20,7 mesi.

Sono però riportati alcuni dati clinici sulla potenziale attività degli ADC sulle metastasi cerebrali non trattate/ stabili. Per esempio, per quanto riguarda TDM-1 lo studio KAMILLA7 ha evidenziato una riduzione della somma dei diametri maggiori delle metastasi encefaliche ≥30% nel 42,9% della popolazione, incluso il 49,3% delle 67 pazienti non sottoposte a trattamento radiante. I risultati invece della pooled analysis degli studi DESTINY-Breast01, 02 e 038 nei pazienti con malattia encefalica HER2 positiva ha dimostrato come, in caso di metastasi cerebrali non trattate, la risposta oggettiva intracranica era del 45,5% con T-DXd e del 12% con il trattamento di confronto. In caso di metastasi cerebrali trattate/stabili, la risposta oggettiva intracranica era del 45,2% con T-DXd e del 27,6% con il trattamento di confronto.

Si è evidenziata una risposta completa nel 15,9% delle pazienti trattate con T-DXd rispetto a nessuna paziente nel gruppo del trattamento di confronto, mentre il 29,5% e il 12% hanno sperimentato una risposta parziale con T-DXd e il trattamento di confronto, rispettivamente. La durata mediana della risposta intracranica nei pazienti con metastasi cerebrali trattate/stabili era di 12,3 mesi e 11 mesi con T-DXd e il trattamento di confronto, rispettivamente. La durata mediana del-

la risposta intracranica nei pazienti con metastasi cerebrali non trattate era di 17,5 mesi e 2,8 mesi con TDXd e il trattamento di confronto, rispettivamente. La sopravvivenza libera da progressione del SNC nei pazienti con metastasi cerebrali trattate/stabili era di 12,3 mesi con T-DXd e di 8,7 mesi con il trattamento di confronto. La sopravvivenza libera da progressione del SNC nei pazienti con metastasi cerebrali non trattate era di 18,5 mesi con T-DXd e di 4 mesi con il trattamento di confronto.

L’attività di T-DXd in pazienti con malattia encefalica non trattata è stata valutata anche in uno studio retrospettivo9 con conferma di un elevato tasso di risposte a livello encefalico in malattia encefalica non trattata e, ancora più importante, mostra anche un beneficio nelle pazienti con malattia leptomeningea.

Nel TUXEDO-1 trial10, studio prospettico di fase 2 a singolo braccio con pazienti con nuova diagnosi o con progressione di malattia cerebrale esposta in precedenza a terapia con trastuzumab e pertuzumab e senza indicazione a trattamento locale immediato, il tasso di risposta con T-DXd era del 73,3% con una PFS di 14 mesi. La mediana di PFS dello studio ROSET-BM di 16 mesi è pertanto paragonabile a quella ottenuta nel sottogruppo di pazienti con metastasi cerebrali del DESTINY-Breast03 (15 mesi) e maggiore rispetto a quella dello studio HER2CLIMB (9,5 mesi).

Conclusioni

Questo caso clinico è rappresentativo della quota di pazienti con carcinoma metastatico HER2 positivo che non rispondono in modo soddisfacente al doppio blocco anti-HER2 con trastuzumab e pertuzumab, standard terapeutico di prima linea. Lo studio DESTINY-Breast03 ha sancito l’utilizzo di T-DXd come trattamento di seconda linea nella malattia HER2 positiva con tassi di risposta più che raddoppiati rispetto allo standard di cura con TDM-1 e con dati incoraggianti riguardo la sua efficacia anche nel controllo della malattia intracranica.

È importante quindi massimizzare il beneficio del trattamento con T-DXd utilizzandolo il più precocemente possibile nella storia naturale della malattia HER2 positiva e ottimizzare la gestione degli effetti collaterali per prevenirli o comunque gestirli per tempo in modo tale da aumentare l’aderenza al trattamento e di conseguenza l’efficacia della cura.

Conflitto di interessi: l’autrice ha percepito diritti d’autore da Il Pensiero Scientifico Editore - soggetto portatore di interessi commerciali in ambito medico-scientifico.

Bibliografia

1. Cortés J, Kim SB, Chung WP, et al.; DESTINY-Breast03 Trial investigators trastuzumab deruxtecan versus trastuzumab emtansine for breast cancer. N Engl J Med 2022; 386: 1143-54.

2. Verma S, Miles D, Gianni L, et al.; EMILIA Study Group. Trastuzumab emtansine for HER2-positive advanced breast cancer. N Engl J Med 2012; 367: 1783-9.

3. Krop IE, Kim SB, González-Martín A, et al.; TH3RESA Study Collaborators. Trastuzumab emtansine versus treatment of physician’s choice for pretreated HER2-positive advanced breast cancer (TH3RESA): a randomised, open-label, phase 3 trial. Lancet Oncol 2014; 15: 689-99.

4. Baselga J, Cortés J, Kim SB, et al. Pertuzumab plus trastuzumab plus docetaxel for metastatic breast cancer. N Engl J Med 2012; 366: 109-19.

5. Hurvitz SA, Hegg R, Chung WP, et al. Trastuzumab deruxtecan versus trastuzumab emtansine in patients with HER2-positive metastatic breast cancer: updated results from DESTINY-Breast03, a randomised, open-label, phase 3 trial. Lancet 2023; 401: 105-17.

6. Murthy RK, Loi S, Okines A, et al. Tucatinib, trastuzumab, and capecitabine for HER2-positive metastatic breast cancer. N Engl J Med 2020; 382: 597-609.

7. Montemurro F, Delaloge S, Barrios CH, et al. Trastuzumab emtansine (T-DM1) in patients with HER2-positive metastatic breast cancer and brain metastases: exploratory final analysis of cohort 1 from KAMILLA, a single-arm phase IIIb clinical trial. Ann Oncol 2020; 31: 1350-8.

8. Hurvitz SA, Modi S, Li W, et al. A pooled analysis of trastuzumab deruxtecan (T-DXd) in patients (pts) with HER2-positive (HER2+) metastatic breast cancer (mBC) with brain metastases (BMs) from DESTINYBreast (DB) -01, -02, and -03. ESMO 2023, Abstract 377°.

9. Niikura N, Yamanaka T, Nomura H, et al. Treatment with trastuzumab deruxtecan in patients with HER2-positive breast cancer and brain metastases and/or leptomeningeal disease (ROSET-BM). NPJ Breast Cancer 2023; 9: 82.

10. Bartsch R, Berghoff AS, Furtner J, et al. Trastuzumab deruxtecan in HER2-positive breast cancer with brain metastases: a single-arm, phase 2 trial. Nat Med 2022; 28: 1840-17.

Indirizzo per la corrispondenza: Alice Giaquinto E-mail: alice.giaquinto@asst-settelaghi.it

Inquadra il QR code per vedere i #clinicalcase in versione video oppure clicca su https://lc.cx/9ukncF

Caso clinico 5

Il

trattamento del carcinoma mammario

metastatico HER2 positivo con impegno leptomeningeo

Introduzione

Le metastasi leptomeningee, ovvero la diffusione di malattia a livello dello spazio subaracnoideo (leptomeningi), rappresentano una sede di interessamento del carcinoma mammario metastatico con elevati tassi di morbilità e mortalità. Il carcinoma mammario è il tumore primario più frequentemente associato a impegno leptomeningeo (12-35%). Tale impegno impatta in modo significativo sulla qualità e sulla aspettativa di vita di queste pazienti con una sopravvivenza mediana (OS) compresa tra 3 a 4 mesi1. L’impegno leptomeningeo viene rilevato in circa il 10-12% delle pazienti con carcinoma mammario alla diagnosi2 e si verifica in presenza di metastasi sincrone al sistema nervoso centrale (SNC) nel 43%-52% dei casi3-5 Il sottotipo HER2 positivo risulta a maggior rischio di sviluppo di metastasi leptomeningee, sebbene solo il sottotipo triplo negativo è stato costantemente associato a un aumento del rischio di metastasi leptomeningee in letteratura6,7. Esistono altri fattori di rischio per lo sviluppo di impegno leptomeningeo come la giovane età e la presenza di metastasi cerebrali8,9. Fino ad oggi, in considerazione della grave compromissione neurologica associata a tale impegno di malattia e per l’assenza di opzioni terapeutiche valide, spesso la sola terapia di supporto rappresentava la strategia più appropriata. Per guidare la decisione terapeutica in questa tipologia di pazienti è importante prendere in considerazione diverse variabili come performance status, numero di precedenti trattamenti

oncologici e stato recettoriale10. Rimane fondamentale il timing della presa in carico della paziente e della conseguente decisione terapeutica. Tuttavia, fino alle recenti innovazioni terapeutiche, nessuna di queste opzioni aveva un impatto sulla sopravvivenza (OS) nelle pazienti con impegno leptomeningeo.

Caso clinico

La nostra paziente è una donna di 45 anni, madre di due bambini, impiegata di professione e con la passione della corsa (non mancava di effettuare la sua corsa giornaliera di almeno 8-10 km). La sua storia oncologica inizia nel giugno 2021, dove, per autopalpazione di nodulo mammario destro, esegue accertamenti con mammografia, ecografia mammaria e RM mammaria ed evidenza di lesione mammaria destra a livello del quadrante supero esterno destro di 30 mm con almeno 2 linfoadenopatie ascellari omolaterali (cT2 N1). La biopsia mammaria conferma all’esame istologico un carcinoma mammario invasivo ER 0%, PgR 0%, MIB-1 38% HER2 3+. La citologia ascellare risulta positiva per metastasi da carcinoma mammario. Pertanto, in considerazione dell’impegno di malattia e delle caratteristiche biologiche, dopo valutazione strumentale negativa per localizzazioni a distanza, la paziente è stata sottoposta dall’agosto 2021 al dicembre 2021 a trattamento preoperatorio in ambito di protocollo sperimentale con pertuzumab 420 mg ev giorno 1, trastuzumab 6 mg kg ev giorno 1, carboplatino AUC 2 ev giorno 1 e 8, paclitaxel 80 mg mq ev giorno 1 e 8, atezolizumab 1200 mg ev giorno 1. Trattamento effettuato per 6 cicli ogni 21 giorni. Nel gennaio 2022 veniva pertanto sottoposta a intervento di quadrantectomia supero esterna destra con dissezione ascellare omolaterale. Esame istologico con minimi e focali reperti di carcinoma duttale in situ G3. Due linfonodi con metastasi e un linfonodo con ITC su 14 linfonodi asportati (ypTis N1).

In considerazione del residuo di malattia, la paziente eseguiva dal marzo 2022 all’ottobre 2022 trattamento adiuvante con trastuzumab emtansine 3,6 mg mq ev + atezolizumab 1200 mg ev con cicli ogni 21 giorni come da protocollo sperimentale. Trattamento sospeso dopo 12 somministrazioni per piastrinopenia G3 persistente. Per progressivi episodi di alterazioni dell’equilibrio con sbandamenti nella deambulazione ed episodio di ca -

duta a terra durante attività sportiva, la paziente si sottoponeva ad accertamenti con evidenza alla TC encefalo mdc ed RM encefalo mdc del gennaio 2023 di lesione cerebellare destra.

Nel febbraio 2023, dopo controllo strumentale sistemico che rilevava solo alcuni subcentimetrici noduli polmonari sospetti per localizzazioni a distanza ma non ulteriormente caratterizzabili per le dimensioni, veniva pertanto eseguito intervento neurochirurgico di resezione della lesione cerebellare. L’esame istologico risultava positivo per metastasi da carcinoma di origine mammaria ER 0%, PgR 0% HER2 3+. A seguire la paziente veniva sottoposta a trattamento radioterapico su letto chirurgico.

Dopo consulto esterno, in accordo con il desiderio della paziente per un trattamento non alopecizzante e poco impattante sulla sua qualità di vita, avviava da aprile 2023 trattamento di prima linea con: trastuzumab 6 mg kg ev giorno 1; methotrexate 2,5 mg orali 1 compressa per 2 somministrazioni a settimana; ciclofosfamide 50 mg orali 1 compressa die.

Alla rivalutazione TC encefalo-torace addome completo mdc del 04/07/2023 incremento dei noduli polmonari già presenti con comparsa di nuove localizzazioni polmonari bilaterali (diametro max 14 mm) compatibili con lesioni secondarie. A livello encefalico comparsa di sfumata area di captazione in regione emisferica cerebellare laterale destra.

In considerazione della sintomatologia riferita dalla paziente con sensazione di rigidità nucale, difficoltà ai movimenti, dolore base collo, instabilità nella marcia,

parestesie arti inferiori e ipostenia estremità distali esacerbate dal movimento, previa valutazione Multidisciplinare, si completava con RM encefalo + rachide mdc in data 18/07/2023. L’esame confermava la progressione a livello cerebellare destro con comparsa di multiple nodulazioni leptomeningee di natura ripetitiva a livello di tronco encefalico, nervi cranici, superficie midollo spinale, radici cauda e sacco durale (figure 1-3).

Dopo ulteriore discussione multidisciplinare la paziente veniva avviata a terapia sintomatica neurolettica e cortisonica, oltre a trattamento radioterapico encefalico comprensivo delle meningi fino a livello di C2. Trattamento ben tollerato dalla paziente con buon beneficio clinico su rigidità e deambulazione.

In considerazione della progressione di malattia a livello polmonare ed encefalico, la paziente è stata avviata nell’agosto 2023 a trattamento con trastuzumab deruxtecan (T-DXd) 5,4 mg/kg endovena con cicli ripetuti ogni 21 giorni.

Trattamento ben tollerato eccetto un episodio di piastrinopenia G2. Inoltre, fin dai primi cicli, la paziente ha evidenziato un progressivo miglioramento clinico con sostanziale scomparsa della rigidità nucale, del dolore nella regione del collo e spalle, della instabilità nella marcia, riuscendo pertanto a riprendere anche un’attività sportiva regolare con estremo beneficio fisico e psichico, portando anche alla progressiva sospensione della terapia cortisonica come da espresso desiderio della stessa paziente.

A conferma di tale beneficio, la TC torace addome mdc del 19/10/2023 evidenziava una buona risposta parzia-

Figure 1, 2 e 3. RM encefalo-tronco encefalico-rachide MDC basale pre-trattamento con T-DXd.

le di malattia a livello polmonare. La RM encefalo mdc del 10/11/2023 confermava il controllo di malattia sia a livello encefalico che meningeo.

Pertanto la paziente proseguiva il trattamento con T-DXd con mantenuta buona tolleranza e conferma alla rivalutazione TC torace addome mdc del 05/02/2024 di ulteriore risposta polmonare e alla RM encefalo mdc dell’8/02/2024 di ulteriore risposta centrale con scomparsa delle localizzazioni leptomeningee al passaggio bulbo midollare e riduzione di quelle sottotentoriali (figure 4 e 5).

Grazie alla ottima risposta di malattia la paziente è riuscita a tornare alla propria attività lavorativa in modo regolare e a proseguire la sua attività fisica con corsa e nuoto.

Discussione e conclusioni

Nel carcinoma mammario metastatico HER2 positivo, le recenti innovazioni terapeutiche hanno portato al miglioramento dei tassi di risposta intracranica ed extracranica con conseguente impatto sia sulla sopravvivenza libera da progressione (progression free survival - PFS) che sulla sopravvivenza globale (overall survival - OS).

Attualmente però non esiste uno standard di cura per il carcinoma mammario metastatico HER2 positivo con impegno leptomeningeo. Gli studi prospettici hanno frequentemente escluso i pazienti con localizzazioni leptomeningee e, di conseguenza, i tassi di risposta delle terapie sistemiche anti-HER2 e dei trattamenti chemioterapici sono estrapolati dai pazienti con malattia metastatica a livello encefalico11.

Per quanto riguarda la prima linea di trattamento, i pazienti con metastasi al SNC erano stati esclusi dallo studio di fase III CLEOPATRA che ha valutato l’aggiunta di pertuzumab a docetaxel e trastuzumab12. Più recentemente, lo studio di fase II PATRICIA ha valutato l’efficacia di trastuzumab in combinazione con pertuzumab in 39 pazienti HER2 positivo con malattia metastatica al SNC dopo precedente RT13. Nonostante una bassa percentuale di risposte a livello del SNC pari all’11% (IC 95%: 3-25), una significativa percentuale di pazienti ha ottenuto un controllo di malattia pari a 4 mesi nel 68%, e pari a 6 mesi nel 51%. I pazienti con impegno secondario leptomeningeo erano però esclusi. Anche per quanto riguarda il trattamento di seconda linea con trastuzumab emtansine nello studio di fase III EMILIA, solo il 19,8% dei pazienti inclusi aveva un impegno di malattia a livello encefalico stabile14. Krop et al. hanno pubblicato nel 2015 un’analisi esplorativa dei pazienti con metastasi al SNC inclusi nello studio EMILIA15. L’analisi ha evidenziato una sopravvivenza dei pazienti con metastasi al SNC al basale migliore con l’utilizzo di T-DM1 rispetto a lapatinib e capecitabina (26,8 contro 12,9 mesi, HR=0,38; p=0,008) con PFS simile (5,9 vs 5,7 mesi).

Nelle linee successive lo studio HER2CLIMB ha valutato la combinazione di tucatinib, capecitabina e trastuzumab in pazienti pretrattati con carcinoma mammario metastatico HER2 positivo MBC. Lo studio ha incluso 291 pazienti (47,5%) con impegno encefalico non trattato o precedentemente trattato al basale16. La PFS mediana dei pazienti con impegno encefalico è stata

Figure 4 e 5. RM encefalo e tronco encefalico post trattamento con T-DXd.

di 7,6 mesi (IC 95%: 6,2-9,5) nel braccio sperimentale, rispetto a 5,4 mesi nel gruppo placebo (IC 95%: 4,1-5,7), con beneficio simile nell’analisi di sottogruppo dei pazienti con malattia encefalica non trattata/in progressione (HR=0,49, IC 95%: 0,30-0,80)17

Il vero cambio di paradigma lo abbiamo avuto con il T-DXd, ADC anti-HER2 più efficiente e specifico rispetto a T-DM1 per il suo linker clivabile, il rapporto farmaco-anticorpo più elevato18 e l’effetto bystander19. Sulla base dei risultati degli studi DESTINY, T-DXd è stato approvato per la seconda linea di trattamento del carcinoma mammario metastatico HER2 positivo pretrattato con almeno una linea di regimi a base di anti-HER2. Nello studio di fase II DESTINY-Breast0120, i pazienti con metastasi del SNC non trattate o sintomatiche erano esclusi, ma 24 pazienti con metastasi encefaliche trattati e/o asintomatici sono stati inclusi. Jerusalem ha riportato un ORR del 58,3% in questo sottogruppo con una PFS mediana di 18,1 mesi (IC 95%: 6,7-18,1)21

Un’analisi di sottogruppo di 82 pazienti con metastasi encefaliche dello studio DESTINY-Breast03 ha mostrato un miglioramento della PFS mediana a 15 mesi nel gruppo T-DXd, rispetto ai 3 mesi del gruppo T-DM1 (HR=0,25, IC 95%: 0,31-0,45) con un tasso di risposte intracraniche del 63,9% (contro il 33,4% nel gruppo T-DM1). Un recente update dello studio DESTINY-Breast03 ha confermato il beneficio in termini di mOS compreso il sottogruppo di pazienti con impegno encefalico22.

Lo studio di fase II a braccio singolo DEBBRAH ha valutato l’efficacia di T-DXd (5,4 mg/kg) in pazienti con carcinoma mammario HER2 positivo o HER2 low e malattia encefalica pretrattata stabile, non trattata o con malattia encefalica in progressione dopo terapia locale. I primi risultati hanno riportato, per i pazienti con lesioni intracraniche o extracraniche misurabili alla valutazione basale, un tasso di risposta del 66,7% (95% CI 41,0-86,7)23.

Inoltre, il recente studio prospettico, in aperto, a braccio singolo, di fase II TUXEDO-1, ha valutato l’efficacia di T-DXd in pazienti con nuova diagnosi di impegno encefalico per carcinoma mammario HER2 positivo non trattato o con progressione dopo precedente terapia loco-regionale o precedente esposizione a trastuzumab e pertuzumab24. Tra i 15 pazienti arruolati, 2 avevano ottenuto una risposta completa (CR), 9 una risposta parziale (PR) e 3 una stabilità di malattia (SD)

con un miglior tasso di risposte a livello encefalico ICORR del 73,3% (IC 95%: 48,1-89,1%). La PFS mediana è stata di 14 mesi (IC 95% 11,0 mesi-NR) e la OS mediana non è stata ancora raggiunta a un follow-up mediano di 12 mesi.

Dati sulla risposta a T-DXd in pazienti con carcinoma mammario metastatico HER2 positivo e impegno leptomeningeo non erano sostanzialmente disponibili fino all’analisi retrospettiva multicentrica dello studio ROSET-BM che ha valutato il beneficio di T-DXd in 104 pazienti con malattia metastatica HER2 positivo con impegno encefalico (BM) e/o leptomeningeo25. Il tasso di risposte intracraniche (IC-ORR) è stato del 62,7% con una IC-PFS mediana di 16,1 mesi (IC 95%: 12,2-NR). Tra i 9 pazienti con LM, il tasso di risposte intracraniche (IC-ORR) è stato del 77,8%, con una PFS e OS a 1 anno rispettivamente del 60,7% (IC 95%: 34,5-79,1) e dell’87,1% (IC 95%, 57,3-96,6) rispettivamente, significativamente superiori ai dati storici presenti in letteratura per i pazienti con impegno leptomeningeo. La recente analisi retrospettiva di Alder et al. ha valutato l’attività di T-DXd in pazienti con carcinoma mammario metastatico HER2 positivo e malattia encefalica non trattata/in progressione. In pazienti pesantemente pretrattate con una mediana di 4,5 terapie precedenti, la metà (n=4/8) ha ottenuto una PR, mentre le altre 4 pazienti hanno avuto una SD, con un clinical benefit del 100% (figure 6 e 7)25. La OS mediana dal primo ciclo di T-DXd è stata di 10,4 mesi (158-514 giorni) con 6 pazienti ancora vive al cut-off dei dati. La OS mediana dalla diagnosi di impegno leptomeningeo è stata di 15,5 mesi (189-626 giorni)26 Dati recentemente confermati dalla presentazione al SABCS 2023 dell’analisi del sottogruppo di pazienti con impegno leptomeningeo trattate con T-DXd nello studio DEBBRAH. Tale analisi ha confermato una PFS di 8,9 mesi (95% CI, 2,1-NR) e una OS di 13,3 mesi (95% CI, 2,5-NR, p<0,001)27.

Questi dati, insieme al caso clinico presentato, confermano l’attività di T-DXd anche nel sottogruppo di pazienti a peggiore prognosi per l’impegno di malattia leptomeningeo con impatto sia sul tasso di risposte che su PFS e OS rispetto ai dati storici di letteratura.

Conflitto di interessi: l’autore ha percepito diritti d’autore da Il Pensiero Scientifico Editore – soggetto portatore di interessi commerciali in ambito medico-scientifico.

6. PFS e OS per tipologia di impegno encefalico studio ROSET-BM.

Figura 7. Sopravvivenza e tempo in trattamento con T-DXd in pazienti con impegno leptomeningeo da carcinoma mammario HER2 positivo metastatico nell’analisi retrospettiva. Tratta da: Alder et al.26

Bibliografia

1. Le Rhun E, Preusser M, van den Bent M, Andratschke N, Weller M. How we treat patients with leptomeningeal metastases. ESMO Open 2019; 4: e000507.

2. Lamba N, Wen PY, Aizer AA. Epidemiology of brain metastases and leptomeningeal disease. Neuro-Oncol 2021; 23: 1447-56.

3. Griguolo G, Pouderoux S, Dieci MV, et al. Clinicopathological and treatment-associated

prognostic factors in patients with breast cancer leptomeningeal metastases in relation to tumor biology. Oncologist 2018; 23: 1289-99.

4. Le Rhun E, Taillibert S, Zairi F, et al. A retrospective case series of 103 consecutive patients with leptomeningeal metastasis and breast cancer. J Neurooncol 2013; 113: 83-92.

5. Morikawa A, Jordan L, Rozner R, et al. Characteristics and outcomes of patients with breast cancer with leptomeningeal metastasis. Clin Breast Cancer 2017; 17: 23-8.

Figura

6. Altundag K, Bondy ML, Mirza NQ, et al. Clinicopathologic characteristics and prognostic factors in 420 metastatic breast cancer patients with central nervous system metastasis: CNS metastases in breast cancer. Cancer 2007; 110: 2640-7.

7. Yust-Katz S, Garciarena P, Liu D, et al. Breast cancer and leptomeningeal disease (LMD): hormone receptor status influences time to development of LMD and survival from LMD diagnosis. J Neurooncol 2013; 114: 229-35.

8. Johnson MD, Avkshtol V, Baschnagel AM, et al. Surgical resection of brain metastases and the risk of leptomeningeal recurrence in patients treated with stereotactic radiosurgery. Int J Radiat Oncol 2016; 94: 537-43.

9. Norris LK, Grossman SA, Olivi A. Neoplastic meningitis following surgical resection of isolated cerebellar metastasis: a potentially preventable complication. J Neurooncol 1997; 32: 215-23.

10. Carausu M, Carton M, Darlix A, et al. Breast cancer patients treated with intrathecal therapy for leptomeningeal metastases in a large real-life database. ESMO Open 2021; 6: 100150.

11. Dudani S, Mazzarello S, Hilton J, et al. Optimal management of leptomeningeal carcinomatosis in breast cancer patients: a systematic review. Clin Breast Cancer 2016; 16: 456-70.

12. Swain SM, Baselga J, Kim SB, et al. Pertuzumab, trastuzumab, and docetaxel in HER2-positive metastatic breast cancer. N Engl J Med 2015; 372: 724-34.

13. Lin NU, Pegram M, Sahebjam S, et al. Pertuzumab plus high-dose trastuzumab in patients with progressive brain metastases and HER2-positive metastatic breast cancer: primary analysis of a phase II study. J Clin Oncol 2021; 39: 2667-75.

14. Verma S, Miles D, Gianni L, et al. Trastuzumab emtansine for HER2-positive advanced breast cancer. N Engl J Med 2012; 367: 1783-91.

15. Krop IE, Lin NU, Blackwell K, et al. Trastuzumab emtansine (T-DM1) versus lapatinib plus capecitabine in patients with HER2-positive metastatic breast cancer and central nervous system metastases: a retrospective, exploratory analysis in EMILIA. Ann Oncol 2015; 26: 113-9.

16. Murthy RK, Loi S, Okines A, et al. Tucatinib, trastuzumab, and capecitabine for HER2-positive metastatic breast cancer. N Engl J Med 2020; 382: 597-609.

17. Curigliano G, Mueller V, Borges V, et al. Tucatinib versus placebo added to trastuzumab and capecitabine for patients with pretreated HER2+ metastatic breast cancer with and without brain metastases (HER2CLIMB): final overall survival analysis. Ann Oncol 2022; 33: 321-9.

18. Ogitani Y, Aida T, Hagihara K, et al. DS-8201a, a novel HER2-targeting ADC with a novel DNA topoisomerase I inhibitor, demonstrates a promising antitumor efficacy with differentiation from T-DM1. Clin Cancer Res 2016; 22: 5097-108.

19. Ogitani Y, Hagihara K, Oitate M, Naito H, Agatsuma T. Bystander killing effect of DS -8201a, a novel antihuman epidermal growth factor receptor 2 antibody-

drug conjugate, in tumors with human epidermal growth factor receptor 2 heterogeneity. Cancer Sci 2016; 107: 1039-46.

20. Cortés J, Kim SB, Chung WP, et al. Trastuzumab deruxtecan versus trastuzumab emtansine for breast cancer. N Engl J Med 2022; 386: 1143-54.

21. Modi S, Saura C, Yamashita T, et al. Trastuzumab deruxtecan in previously treated HER2-positive breast cancer. N Engl J Med 2020; 382: 610-21.

22. Hurvitz SA, Hegg R, Chung WP, et al. Trastuzumab deruxtecan versus trastuzumab emtansine in patients with HER2-positive metastatic breast cancer: updated results from DESTINY-Breast03, a randomised, open-label, phase 3 trial. Lancet 2023; 401: 105-17.

23. Pérez-Garcıa JM, Batista MV, Cortez P, et al. Trastuzumab deruxtecan in patients with central nervous system involvement from HER2-positive breast cancer: the DEBBRAH trial. Neuro Oncol 2023; 25: 157-66.

24. Bartsch R, Berghoff AS, Furtner J, et al. Trastuzumab deruxtecan in HER2-positive breast cancer with brain metastases: a single-arm, phase 2 trial. Nat Med 2022; 28: 1840-7.

25. Yamanaka T, Niikura N, Nomura H, et al. Abstract PD7-01: trastuzumab deruxtecan for the treatment of patients with HER2-positive breast cancer with brain and/or leptomeningeal metastases: a multicenter retrospective study (ROSET-BM study). Cancer Res 2023; 83 (Suppl 5): PD7-01.

26. Alder L, Trapani D, Bradbury C, et al. Durable responses in patients with HER2+ breast cancer and leptomeningeal metastases treated with trastuzumab deruxtecan. NPJ Breast Cancer 2023; 9: 19.

27. Batista MV, Pérez-García JM, Garrigós L, et al. Trastuzumab deruxtecan in patients with HER2[+] or HER2-low advanced breast cancer and pathologically confirmed leptomeningeal carcinomatosis: results from cohort 5 of the DEBBRAH Study. SABCS 2023. Poster PS11-05.

Indirizzo per la corrispondenza: Luigi Coltelli

UOC Oncologia Medica Pontedera e Volterra

Azienda Toscana Nord Ovest

E-mail: luigi.coltelli@uslnordovest.toscana.it

Inquadra il QR code per vedere i #clinicalcase in versione video oppure clicca su https://lc.cx/9ukncF

Caso clinico 6

Controllo intracranico e meningeo con trastuzumab deruxtecan in mBC HER2 positivo

Antonino Mafodda

UOC Oncologia, Grande Ospedale Metropolitano, Reggio Calabria.

Introduzione

Riportiamo il caso clinico di una donna con carcinoma mammario HER2 positivo e localizzazioni encefaliche di malattia che usualmente denotano una prognosi sfavorevole.

Lo sviluppo di farmaci anticorpo coniugati ha recentemente dato nuove speranze e possibilità di cura a questo sottogruppo di pazienti.

Presentazione del caso

Donna del 1965, in anamnesi ipotiroidismo in trattamento sostitutivo, PS 0.

Nel 2011 viene sottoposta a intervento di mastectomia sx per CDI (4 cm), G2, ER 60% PGR 40% HER2 neg, Ki67 basso indice, linfonodi positivi 8\14 tot.

Segue chemioterapia (4 EC g 12 taxolo) e successiva radioterapia + ormonoterapia (letrozolo per 5 anni).

La paziente affronta il percorso di follow-up con la consapevolezza del rischio di ripresa di malattia ma sentendosi una donna guarita.

Nel settembre 2022 esegue metastasectomia parietale dx per lesione unica sintomatica (TC TB mdc e RMN encefalo mdc). EI: localizzazione metastatica di ca mammario G3 ER 5% PGR 3% Ki67 12% HER2 3+.

A ottobre 2022 effettua trattamento radioterapico whole brain (30 Gy).

La paziente è chiaramente spaventata e, tenuto conto della localizzazione encefalica e delle caratteristiche istologiche della ripresa di malattia, teme che nono -

stante la rimozione della metastasi non avrà possibilità di cura.

Solo dopo chirurgia e radioterapia viene presa in carico dall’oncologia per il successivo iter diagnostico e terapeutico.

Nel novembre 2022 esegue una TC TB mdc che evidenzia alterazione strutturale dello sterno. La paziente è sintomatica per algie sternali.

A dicembre 2022 esegue una PET WB che dimostra la presenza di plurime lesioni scheletriche e linfonodali. Effettua, immediatamente dopo, radioterapia palliativa su sterno con beneficio parziale e inizio prima linea di trattamento secondo schema taxolo settimanale/ pertuzumab/trastuzumab.

Le condizioni psicologiche della paziente sono sempre peggiori. Pensa adesso che l’intervento chirurgico sia stato vano e attende con pessimismo la rivalutazione di malattia. Servono a poco le rassicurazioni dei sanitari. Tuttavia, la prima rivalutazione di malattia è favorevole.

A marzo 2023 esegue PET/FDG di rivalutazione che evidenzia risposta parziale e RMN encefalo negativa per presenza di nuove localizzazioni secondarie.

La paziente riacquista un minimo di fiducia nella speranza che una risposta iniziale possa essere indicativa di un controllo a lungo termine della malattia. Pensa adesso che ci siano possibilità di cronicizzazione.

Pochi mesi dopo però la progressione di malattia sarà drammatica. Purtoppo, ad agosto 2023 la rivalutazione di malattia con PET/FDG evidenzia malattia stabile ma la RMN encefalo rileva più di 30 lesioni ripetitive (cerebrali e cerebellari) in aggiunta a lesione parasagittale dx di 4 mm inscritta sulla superficie durale che appare ispessita (figure 1 e 2). La paziente questa volta non è sintomatica. Sfortunatamente, tutte le aspettative della paziente sono state disilluse, proprio quando era asintomatica e attendeva ottimista l’esito degli esami di rivalutazione.

Trattamento

La condizione psicologica della paziente era ormai crollata irreversibilmente e, avendo subito intervento chirurgico su metastasi encefaliche, radioterapia e terapia sistemica, capiva che non esistevano altri trattamenti potenzialmente utili. Esisteva, però, la possibilità di iniziare una terapia con farmaci anticorpo coniugati di nuova generazione.

Figura 1.

RMN encefalo, agosto 2023.

Riscontro di più di 30 lesioni

ripetitive (cerebrali e cerebellari) in aggiunta a lesione parasagittale dx di 4 mm inscritta sulla superficie durale che appare ispessita.

Figura 2.

RMN encefalo, agosto 2023.

Riscontro di più di 30 lesioni

ripetitive (cerebrali e cerebellari) in aggiunta a lesione parasagittale dx di 4 mm inscritta sulla superficie durale che appare ispessita.

Il 29 agosto 2023, esclusa la possibilità di ulteriore trattamento RT, inizia quindi trattamento con trastuzumab deruxtecan (T-DXd) 5,4 mg\kg q21.

Dopo 3 somministrazioni, la PET/FDG deponeva per stabilità di malattia e, risultato più rilevante, la RMN encefalo (24 ottobre 2023) evidenziava risposta completa al trattamento e la scomparsa della lesione durale non più apprezzabile (figure 3 e 4). Scomparse tutte le metastasi encefaliche.

Il trattamento è stato globalmente ben tollerato. Nessun sintomo di rilievo.

A oggi continua T-DXd, non riporta tossicità di rilievo e non ha avuto necessità di riduzioni di dose. Prosegue follow-up con PET/TC e RMN.

Follow-up

In atto la paziente mantiene risposta metabolica completa alla PET/FDG e assenza di secondarismi encefalici alla RMN encefalo. Nonostante la sofferenza legata alla consapevolezza della malattia, la paziente è serena. È asintomatica e non ha presentato effetti collaterali degni di nota. Ha una buona qualità di vita.

Figura 3. Referto RMN encefalo, agosto 2023.

Azienda ospedaliera regione Calabria

Bianchi-Melacrino-Morelli

Presidio Ospedaliero “Ospedali Riuniti”

Rapporto radiologico

Nome paziente: –

ID paziente: 87117

Anno di nascita paziente: 1965

Medico referente: –

Data rapporto: 18/08/2023 11:26:00

ID richiesta: 3738990

Stato rapporto: F

Motivo dello studio: ca mammella\ XOA\episodio di confusione qualche giorno fa

RM encefalo (senza e con MDC)

Esame RM eseguito mediante sequenze 3D FLAIR, TSE, FFE, SE e 3D T1 nei tre piani dello spazio prima e dopo somministrazione e.v. di mezzo di contrasto; completamento delle indagini con studio della diffusione (ADC e DWI).

Rispetto al precedente esame RM dell’11/01/2023, si documenta la comparsa di plurime circoscritte lesioni, di verosimile natura ripetitiva (almeno 30), a morfologia ovalare/rotondeggiante, delle dimensioni variabili da pochi mm a massimo circa 7 mm, caratterizzate da intensa ed omogenea impregnazione contrastografica, disposte alla giunzione cortico-sottocorticale di entrambi gli emisferi cerebrali e cerebellari nei due lati ed in sede lenticolare posteriore sinistra.

Alcune delle suddette appaiono bordate da iperintensità T2/FLAIR della sostanza bianca sottocorticale attigua, in particolare in sede fronto-parietale nei due lati, più evidente a destra ed in sede temporo-occipitale mesiale bilateralmente.

Si confermano gli esiti di pregresso intervento chirurgico di craniotomia parietooccipitale destra parasagittale, al di sotto del quale si documenta cavo chirurgico a segnale gliotico-malacico, a distribuzione cortico-sottocorticale parietale.

Persiste lieve ispessimento della superficie durale attigua nel contesto del quale si inscrive la comparsa di piccola nodularita (d.max di circa 4 mm), caratterizzata da impregnazione contrastografica, a sede parasagittale destra.

Nella norma le dimensioni del sistema ventricolare.

In asse le strutture della linea mediana.

Figura 4. Referto RMN encefalo, 24 ottobre 2023. Risposta completa al trattamento.

Azienda ospedaliera regione Calabria

Bianchi-Melacrino-Morelli

Presidio Ospedaliero “Ospedali Riuniti”

Rapporto radiologico

Nome paziente: –

ID paziente: 87117

Anno di nascita paziente: 1965

Medico referente: –

Data rapporto: 24/10/2023 12:50:00

ID richiesta: 3764790

Stato rapporto: F

Motivo dello studio: mts cerebrali

RM

del cervello e tronco encef. con MDC

Rispetto al precedente esame RM 18/08/2023, si documenta la scomparsa delle plurime circoscritte lesioni, di verosimile natura ripetitiva disposte in entrambi gli emisferi cerebrali e cerebellari nei due lati ed in sede lenticolare posteriore sinistra. Si confermano gli esiti di pregresso intervento chirurgico di craniotomia parietooccipitale destra parasagittale, al di sotto del quale si documenta cavo chirurgico a segnale gliotico-malacico, a distribuzione cortico-sottocorticale parietale. Persiste lieve ispessimento della superficie durale attigua senza evidenza nel contesto della piccola nodularità precentemente evidenziata. Nella norma le dimensioni del sistema ventricolare. In asse le strutture della linea mediana.

Discussione

Nonostante i miglioramenti in termini di sopravvivenza globale (OS) ottenuti per le pazienti con carcinoma mammario metastatico HER2 positivo (mBC), una percentuale variabile tra il 22% e il 50% svilupperà metastasi cerebrali (BM)1-4 . L’alta incidenza deriva sia dal migliore controllo di malattia extracranico ottenuto negli ultimi decenni grazie all’approvazione di nuovi trattamenti altamente efficaci, sia da una predilezione biologica della malattia HER2 positiva che vede nel sistema nervoso centrale una delle sedi elettive di lo -

calizzazione metastatica. Le metastasi cerebrali si associano a una prognosi peggiore e a una diminuzione della qualità di vita delle pazienti. Il trattamento prevede la possibilità di un approccio locale in termini di resezione chirurgica, radioterapia post-operatoria, radiochirurgia stereotassica (SRS) e/o radioterapia panencefalica5. Nonostante la prevalenza di BM nel mBC HER2 positivo, i trial clinici spesso escludono questa popolazione dagli arruolamenti e pertanto è da ritenersi elevata la rilevanza clinica dei dati di efficacia sul controllo di malattia cerebrale di T-DXd.

La scelta è stata fondata sulla base:

„ dei dati disponibili del trial DESTINY-Breast036, studio di fase III che ha consentito la registrazione di T-DXd in seconda linea di trattamento nelle pazienti con cancro mammario HER2 positivo non resecabile o metastatico, che hanno ricevuto almeno un regime a base di anti-HER2. Nel trial 23/36 (63,9%) pazienti con BM stabili al basale hanno ottenuto un controllo di malattia intracranico (CR e PR);

„ delle evidenze derivate dal trial TUXEDO-17, fase II (NCT04752059) che ha dimostrato l’efficacia e la sicurezza di T-DXd in pazienti con mBC HER2 positivo con BM di nuova diagnosi o in progressione dopo precedente approccio locale. Il tasso di risposta intracranico (11/15 pazienti) è stato del 73,3%;

„ dei dati provenienti dallo studio DEBBRAH8, fase II (NCT04420598) che prevedeva l’uso di T-DXd in pazienti con mBC HER2 positivo e BM stabili, asintomatiche non trattate o in progressione dopo RT e/o chirurgia: 16-week PFS rate 87,5%, ORR-IC in pazienti con BM non trattate o in progressione 46,2%;

„ dell’analisi di sottogruppo del DESTINY-Breast019 (NCT03248492) in cui pazienti pesantemente pretrattate (mediana di 6 linee precedenti nel setting metastatico) ricevevano T-DXd 5,4 mg\kg. Non era prevista la possibilità di arruolamento di pazienti con BM non trattate o in progressione e 19/24 pazienti nel sottogruppo BM avevano già ricevuto trattamenti locali (RT o chirurgia). L’efficacia sistemica di T-DXd nei sottogruppi BM e non BM è stata sovrapponibile a quella della popolazione globale dello studio. L’endpoint primario (cORR by ICR) è stato 58,3% (61,3% non BM).

Conclusioni

La disponibilità di farmaci altamente performanti anche sulle localizzazioni encefaliche di malattia ha reso oggi possibile il controllo di malattia anche in presenza di metastasi encefaliche.

I risultati degli studi clinici di T-DXd hanno dimostrato che le cure per queste pazienti sono oggi percorribile, ma avere la dimostrazione di ciò, nella pratica clinica di tutti i giorni, offre al clinico la possibilità di ottenere risultati fino a poco tempo fa difficilmente immaginabili.

Conflitto di interessi: l’autore ha avuto collaborazioni con Janssen-Cilag, Daiichi Sankyo Italia, Genetic Farma, Bayer; ha inoltre percepito diritti d’autore da Il Pensiero Scientifico Editore - soggetto portatore di interessi commerciali in ambito medico-scientifico.

Bibliografia

1. Hurvitz SA, O’Shaughnessy J, Mason G, et al. Central nervous system metastasis in patients with HER2positive metastatic breast cancer: patient characteristics, treatment, and survival from SystHERs. Clin Cancer Res 2019; 25: 2433-41.

2. Olson EM, Najita JS, Sohl J, et al. Clinical outcomes and treatment practice patterns of patients with HER2positive metastatic breast cancer in the posttrastuzumab era. Breast 2013; 22: 525-31.

3. Bendell JC, Domchek SM, Burstein HJ, et al. Central nervous system metastases in women who receive trastuzumabbased therapy for metastatic breast carcinoma. Cancer 2003; 97: 2972-7.

4. Clayton AJ, Danson S, Jolly S, et al. Incidence of cerebral metastases in patients treated with trastuzumab for metastatic breast cancer. Br J Cancer 2004; 91: 639-43.

5. Ramakrishna N, Anders CK, Lin NU, et al. Management of advanced human epidermal growth factor receptor 2-positive breast cancer and brain metastases: ASCO guideline update. J Clin Oncol 2022; 40: 2636-55.

6. Cortés J, Kim S-B, Chung W-P, et al. Trastuzumab deruxtecan versus trastuzumab emtansine for breast cancer. N Engl J Med 2022; 386: 1143-54.

7. Bartsch R, Berghoff AS, Furtner J, et al. Trastuzumab deruxtecan in HER2-positive breast cancer with brain metastases: a single-arm, phase 2 trial. Nat Med 2022; 28: 1840-7.

8. Pérez-García JM, Batista MV, Cortez P, et al. Trastuzumab deruxtecan in patients with central nervous system involvement from HER2-positive breast cancer: the DEBBRAH trial. Neuro Oncol 2022; 25: 157-66.

9. Jerusalem G, Park YH, Yamashita T, et al. Trastuzumab deruxtecan in HER2-positive metastatic breast cancer patients with brain metastases: a DESTINY-Breast01 Subgroup Analysis. Cancer Discov 2022; 12: 2754-62.

Indirizzo per la corrispondenza: Antonino Mafodda E-mail: antoninomafodda@gmail.com

Inquadra il QR code per vedere i #clinicalcase in versione video oppure clicca su https://lc.cx/9ukncF

Caso clinico 7

Trastuzumab deruxtecan in seconda linea per il carcinoma mammario HER2

positivo con metastasi cerebrali

Introduzione

Il carcinoma mammario HER2 positivo rappresenta circa il 20% di tutti i carcinomi mammari.

Negli ultimi anni, il trattamento di questo sottotipo è notevolmente cambiato, avvalendosi di nuovi farmaci anti-HER2 che svolgono l’attività antitumorale con meccanismi differenti e innovativi (anticorpi farmaco coniugati - ADC, e inibitori tirosinchinasici); questa continua evoluzione dell’algoritmo terapeutico ha determinato una rivoluzione dei percorsi di cura di questa patologia, con miglioramento della prognosi delle pazienti.

La scelta delle sequenze ottimali è indicata nelle linee guida, che tuttavia sono soggette a continui aggiornamenti man mano che emergono nuove evidenze di efficacia e sicurezza dei farmaci anti-HER2.

Le metastasi cerebrali possono interessare fino al 50% delle pazienti con questo tipo di neoplasia e tale riscontro è più frequente quando si proceda nelle linee di trattamento nel setting del carcinoma mammario metastatico. Alla luce delle nuove opportunità terapeutiche, alcune di esse con provata attività a livello cerebrale, la paziente con carcinoma mammario HER2 positivo e metastasi cerebrali richiede un approccio multidisciplinare che integra chirurgia, radioterapia e terapie sistemiche anti-HER2.

Si riporta di seguito il caso clinico di una paziente giunta alla nostra osservazione per un carcinoma mammario HER2 positivo con secondarismi polmonari e cerebrali, in progressione dopo la prima linea standard di

terapia anti-HER2 con pertuzumab e trastuzumab. Questo caso clinico illustra le moderne strategie terapeutiche adottate nel trattamento di un carcinoma mammario HER2 positivo, sottolineando l’importanza di un approccio multidisciplinare.

Caso clinico

Si tratta di una giovane donna di 24 anni al momento della diagnosi. Dall’anamnesi familiare, fisiologica e patologica remota, non si evidenziano condizioni particolari.

Dall’anamnesi oncologica emerge che la paziente era stata sottoposta nel 2015 in Turchia a intervento chirurgico di asportazione di nodulo mammario sinistro e asportazione del linfonodo sentinella per un carcinoma duttale infiltrante pT2 G3 pN0, negativo per recettori estrogenici (ER) e progestinici (PgR), HER2 3+.

A seguire, la paziente riceve chemioterapia adiuvante a base di antracicline e ciclofosfamide per 6 cicli, radioterapia e viene poi avviata a follow-up.

A dicembre 2018 comparsa di cefalea e vomito a getto, per cui è stata sottoposta a TC cerebrale con riscontro di metastasi cerebrale di 1 cm a livello del lobo occipitale, confermata alla RM. A gennaio 2019 è stata sottoposta quindi a resezione della metastasi cerebrale, con diagnosi istologica di localizzazione secondaria da carcinoma mammario ER e PgR negativo HER2 3+.

La paziente è stata successivamente sottoposta a radioterapia stereotassica sul letto operatorio (30 Gy in 15 frazioni).

A giugno 2019 alla TC total body si evidenzia la comparsa di lesioni polmonari secondarie diffuse. A luglio 2019 la paziente ha quindi avviato trattamento di prima linea con docetaxel + pertuzumab + trastuzumab. Dopo 6 cicli, data la risposta, ha proseguito mantenimento con pertuzumab + trastuzumab.

All’ecocardiogramma effettuato a gennaio 2020, viene riscontrato calo della funzione ventricolare sinistra asintomatico. Sospeso quindi trattamento con antiHER2, avviata terapia con beta-bloccante e ace-inibitori. Dopo un mese, la paziente viene sottoposta a nuovo controllo cardiologico che non riporta anomalie (frazione di eiezione stimata circa 55%), per cui ha ripreso il trattamento con pertuzumab + trastuzumab, senza riportare ulteriori tossicità cardiologiche.

A marzo 2020, comparsa di lesioni secondarie cerebrali, con stabilità della malattia extra-cranica, per cui la

paziente è stata sottoposta a radioterapia whole-brain (30 Gy in 15 frazioni).

A ottobre 2021 (sopravvivenza libera da progressione - PFS di 28 mesi) compare tosse stizzosa, dolore in sede toracica e cefalea con parestesie, per cui la paziente è stata sottoposta a ristadiazione con:

„ RM encefalo, che riporta “a livello cerebrale incremento di volume della nota lesione temporale posteriore destra (35 mm vs 28 mm) e, in minor misura, delle lesioni parietale paramediana destra, parietale superiore paramediana sinistra e del centro semiovale di destra” (figura 1);

„ TC torace-addome, che “evidenza incremento numerico e dimensionale dei noduli polmonari secondari” (figura 2).

Figura 1. Risonanza magnetica cerebrale indicativa di progressione di malattia a livello cerebrale.

Figura 3. TAC di rivalutazione che mostra una significativa riduzione delle lesioni polmonari dopo 3 cicli di trattamento con trastuzumab deruxtecan in seconda linea.

La paziente afferiva quindi al nostro centro per presa in carico.

All’esame obiettivo la paziente presentava un performance status secondo ECOG di 1, non riportava sintomi respiratori. La paziente lamentava incertezza alla deambulazione autonoma.

Data la progressione a livello encefalico, dopo discussione multidisciplinare, la paziente eseguiva valutazione radioterapica, con indicazione a trattamento radioterapico, nonostante l’asintomaticità.

Successivamente, dal 4 al 7 gennaio 2022, la paziente è stata sottoposta a radioterapia sulla lesione temporale posteriore destra e sulla lesione corona radiata anteriore destra.

Dopo un adeguato periodo di wash-out dalla radioterapia, in assenza di comparsa di sintomi neurologici, a

Figura 2. TAC con evidenza di progressione di malattia a livello polmonare.

Figura 4. RM encefalo di rivalutazione che mostra una risposta al trattamento con trastuzumab deruxtecan in seconda linea.

febbraio 2022 la paziente avviava quindi trattamento di seconda linea con trastuzumab deruxtecan (T-DXd) con schedula standard 5,4 mg/kg ogni 21 giorni, in associazione a profilassi antiemetica ad alto grado con la triplice combinazione di netupitant-palonosetron, desametasone e alizapride.

Data la diagnosi in giovane età, veniva anche avviata a consulenza oncogenetica, con esecuzione di multigene panel, che risultava negativo per varianti patogeniche a carico di BRCA 1, BRCA2, p53, ATM, BARD1, BRIP1, CDH1, CHEK2, PALB2, RAD51, RAD51C.

A giugno 2022, dopo aver eseguito 4 cicli di trattamento, è stata effettuata la visita ambulatoriale. Clinicamente la paziente presentava un miglioramento delle condizioni generali, con un performance status secondo ECOG di 0.

Il trattamento con T-DXd era stato ben tollerato, riferendo come eventi avversi correlati al trattamento nausea e alopecia di grado 1.

Alla TC di rivalutazione dopo tre cicli si evidenzia una netta riduzione volumetrica e numerica delle lesioni secondarie polmonari bilaterali (figura 3) e alla RM una riduzione dimensionale della lesione secondaria temporale da 35 a 28 mm (figura 4).

In considerazione della risposta al trattamento e dell’assenza di tossicità correlata, la paziente ha quindi proseguito il trattamento.

La successiva rivalutazione strumentale ha confermato il quadro di risposta parziale a livello cerebrale, con un’ulteriore riduzione dimensionale della nota lesione temporale, e ha evidenziato una risposta completa delle lesioni secondarie polmonari bilaterali.

A oggi la paziente sta continuando il trattamento con T-DXd con ottima tolleranza (ha ricevuto 38 somministrazioni), non ha presentato tossicità correlate, eccetto nausea e alopecia G1. Non è stata necessaria riduzione della dose o sospensione del trattamento. L’ultima rivalutazione strumentale, eseguita a marzo 2024, evidenziava un quadro di risposta completa sia a livello polmonare che cerebrale.

Conclusioni

Il caso clinico della paziente è emblematico dell’efficacia del T-DXd come trattamento di seconda linea, a progressione da precedente trattamento con taxano e doppio blocco anti-HER2.

La paziente ha beneficiato del trattamento anche in presenza di metastasi cerebrali trattate non più sintomatiche e che non richiedono terapia steroidea e/o terapia anticonvulsivante, come dimostrato dallo studio DESTINY-Breast033,4

La lunga durata del trattamento (2,5 anni) è stata associata a una buona tollerabilità, senza eventi avversi correlati e discontinuazioni.

Conflitto di interessi: l’autrice ha percepito diritti d’autore da Il Pensiero Scientifico Editore – soggetto portatore di interessi commerciali in ambito medico-scientifico.

Bibliografia

1. Swain SM, Baselga J, Kim SB, et al.; CLEOPATRA Study Group. Pertuzumab, trastuzumab, and docetaxel in HER2-positive metastatic breast cancer. N Engl J Med 2015; 372: 724-34.

2. Swain SM, Miles D, Kim SB, et al.; CLEOPATRA study group. Pertuzumab, trastuzumab, and docetaxel for HER2-positive metastatic breast cancer (CLEOPATRA): end-of-study results from a double-blind, randomised, placebo-controlled, phase 3 study. Lancet Oncol 2020; 21: 519-30.

3. Cortés J, Kim SB, Chung WP, et al.; DESTINY-Breast03 Trial Investigators. Trastuzumab deruxtecan versus trastuzumab emtansine for breast cancer. N Engl J Med 2022; 386: 1143-54.

4. Hurvitz SA, Hegg R, Chung WP, et al. Trastuzumab deruxtecan versus trastuzumab emtansine in patients with HER2-positive metastatic breast cancer: updated results from DESTINY-Breast03, a randomised, open-label, phase 3 trial. Lancet 2023; 401: 105-17.

Indirizzo per la corrispondenza: Francesca Poggio

E-mail: francescabenedetta.poggio@hsanmartino.it

Inquadra il QR code per vedere i #clinicalcase in versione video oppure clicca su https://lc.cx/9ukncF

Caso clinico 8

Efficacia del trastuzumab

deruxtecan in paziente con metastasi cerebrali di carcinoma mammario

HER2 positivo

Introduzione

Il trastuzumab deruxtecan (T-DXd) rappresenta l’evoluzione terapeutica più importante degli ultimi anni nel trattamento delle pazienti affette da carcinoma mammario metastatico HER2 positivo1-4. Nonostante la disponibilità di opzioni terapeutiche di prima linea particolarmente efficaci come l’associazione pertuzumab + trastuzumab + taxani5,6, molte pazienti affette da carcinoma mammario HER2 positivo progrediscono e necessitano di soluzioni terapeutiche di seconda linea capaci di affrontare non solo la diffusione della malattia sistemica, ma fronteggiarne lo sviluppo anche in sedi critiche come l’encefalo7.

Le metastasi cerebrali rappresentano una sfida clinica significativa, data la loro frequenza nei tumori HER2 positivo e l’alta morbilità associata7. Gran parte degli studi clinici spesso escludono la presenza di pazienti con metastasi cerebrali, limitando così la conoscenza diretta dell’efficacia dei trattamenti in questo sottogruppo di pazienti7. Tuttavia, recenti evidenze suggeriscono che il T-DXd non solo attraversa la barriera emato-encefalica 8 , ma dimostra anche un’efficacia significativa nel controllare le metastasi cerebrali, rappresentando quindi una speranza concreta per questa popolazione di pazienti spesso trascurata9-12

In questo report viene presentato il caso di una paziente con carcinoma mammario HER2 positivo metastati-

co, precedentemente trattata con trastuzumab/pertuzumab e docetaxel, che ha sviluppato multiple metastasi cerebrali con diffusione miliare in assenza di progressione extracranica. La paziente è stata trattata con T-DXd come terapia di seconda linea, senza esposizione a radioterapia, mostrando una regressione significativa delle metastasi cerebrali. Questo caso enfatizza l’importanza di considerare il T-DXd nella gestione delle pazienti con metastasi cerebrali e offre spunti critici sulla gestione terapeutica e sulle decisioni cliniche in uno scenario complesso e in continua evoluzione.

Caso clinico

La paziente, 51 anni, affetta da ipotiroidismo post-tiroiditico e in terapia con levotiroxina 75 mcg/die, il 03/09/2022, presso altro centro, è stata sottoposta a mastectomia sinistra e linfadenectomia ascellare per un carcinoma duttale infiltrante con carcinoma duttale in situ (pT1c 1,9 cm pN2 8/18, G3, ER 80% PgR 5% Ki67 26% HER2 2+ FISH amplificata). La PET-TAC con FDG e mdc iodato di stadiazione (15/10/2022) mostrava un iperaccumulo del tracciante a livello epatico per metastasi bilobari (diametro massimo 3 cm in S7) e a livello scheletrico (clavicola sx, sterno, alcuni archi costali, numerosi metameri del rachide cervico-dorsolombare, bacino e femore sinistro). L’ecocardiogramma (26/10/2022) evidenziava una frazione d’eiezione del 69% con lieve insufficienza.

Dal 04/11/2022 iniziava terapia di prima linea con docetaxel + trastuzumab + pertuzumab (u.s. di docetaxel 30/03/2023) e dal 13/04/2023 iniziava terapia ormonale con letrozolo 1 cpr da 2,5 mg/die.

Dal 01/12/2022, previo videat odontoiatrico, iniziava terapia con denosumab 120 mcg ogni 28 gg (con supplementazione di colecalciferolo e periodica di calcio carbonato).

La PET con FDG di rivalutazione (20/03/2023) mostrava una risposta metabolica completa (figura 1). La RM encefalo con mdc (23/03/23) evidenziava zone di gliosi aspecifica.

Ecocardiogramma del 20/02/2023: FE 64% Il 23/08/2023 la paziente effettuava l’ultima somministrazione di pertuzumab-trastuzumab di mantenimento (7 somministrazioni totali).

La TAC c-t-a con mdc (28/08/2023) mostrava progressione cerebrale della malattia (almeno 20 metastasi), stabilità della malattia extra-cranica.

1. PET con FDG di rivalutazione del 20/03/23.

La RM encefalo con mdc (20/09/2023) confermava la presenza di numerose (almeno 50) metastasi cerebrali (diam max 14 mm in sede cerebellare destra) (figura 2a e 2b).

Alla luce della progressione della malattia, sentito il radioterapista con il quale si concordava di escludere al momento un trattamento di irradiazione cerebrale totale (whole brain radiation therapy -WBRT), la paziente in data 30/09/2023 iniziava terapia T-DXd 5,4 mg/kg ogni 21 gg.

Ecocardiogramma del 22/11/2023: FE 65%.

La RM encefalo con mdc (27/11/2023) evidenziava netta riduzione per numero e dimensione delle note lesioni espansive biemisferiche.

La TC t/a/p con mdc (10/01/2024) mostrava stabili per numero e dimensione le multiple lesioni osteoaddensanti in tutti i segmenti esaminati.

Ecocardiogramma (22/05/2023): FE 65%.

Ecocardiogramma (07/09/2023): FE 67%.

La RM encefalo con mdc (16/03/2024) evidenziava ulteriore riduzione delle lesioni encefaliche note (figura 3).

Alla TAC t-a con mdc (13/04/2024) il quadro extracranico si rivelava stabile.

Dal 30/09/2023 la paziente proseguiva terapia con TDXd 5,4 mg/kg complessivamente ben tollerato (astenia G1).

Discussione

Il presente caso clinico illustra una situazione complessa, frequente per la progressione esclusivamente cerebrale nel corso di trattamento sistemico di prima linea nel carcinoma mammario metastatico HER2 positivo, ma non comune per la diffusione miliare della malattia. La scelta terapeutica, in questo contesto, si è concentrata sull’opzione terapeutica emergente, il TDXd, nonostante la presenza di metastasi cerebrali mai precedentemente trattate con radioterapia.

In assenza di trattamenti sistemici attivi sull’encefalo, la gestione della progressione esclusiva di metastasi cerebrali in assenza di progressione extracranica si sarebbe orientata verso un trattamento radiante mantenendo il trattamento sistemico. In questo caso, alla luce della diffusione miliare delle lesioni secondarie (almeno 50 sovra- e sottotentoriali), la WBRT, con il suo carico significativo di possibili effetti collaterali neurocognitivi a lungo termine e l’assenza di chiaro vantaggio in termini di incremento di sopravvivenza13, sarebbe stata oltretutto l’unica opzione terapeutica locoregionale percorribile. Tuttavia, l’opzione di utilizzare il T-DXd ha rappresentato un’alternativa terapeutica con un profilo di efficacia particolarmente rilevante, considerando la risposta radiologica quasi completa osservata in seguito al trattamento.

La decisione di optare per il T-DXd appariva formalmente ineluttabile al fine di evitare la WBRT e in considerazione dell’impossibilità di prescrivere il regime di tucatinib + trastuzumab + capecitabina, delibato solo dopo due linee anti-HER2 precedenti per la sua prescrizione. Anche se le linee guida ESMO sottolineano di valutare come prima scelta l’associazione tucatinib + capecitabina + trastuzuamb in caso di progressione di malattia HER2 positiva prevalentemente cerebrale con metastasi cerebrali, in questo caso, anche in assenza di limiti prescrittivi, l’opzione terapeutica sarebbe ricaduta su T-DXd. Questo per la consapevolezza di dati sempre più robusti di efficacia del T-DXd

Figura

sulle metastasi cerebrali 9-12 e del rischio di crisi viscerale cerebrale che avrebbe potuto minare l’effettuazione di una terza linea di trattamento e pertanto dell’utilizzo del farmaco che sta rivoluzionando il trattamento della malattia HER2 positivo se non somministrato in seconda linea.

La scelta del T-DXd si è dimostrata giustificata sia per l’elevata penetrazione della barriera emato-encefalica8 sia per gli impressionanti dati di efficacia mostrati nei recenti studi9,10,12 , non ultima l’analisi combinata dei dati degli studi DESTINY-Breast01/02/0311. Questi dati hanno mostrato risultati notevoli nel controllo delle metastasi cerebrali, facendo di T-DXd una scelta preferenziale per il trattamento di questa paziente. È cruciale sottolineare che, in situazioni simili, l’approccio multidisciplinare è essenziale per la gestione ottimale del paziente. La collaborazione tra oncologi, radiologi e radioterapisti è fondamentale per una adeguata diagnosi così come bilanciare le opzioni terapeutiche con il potenziale impatto sulla qualità di vita del paziente. Inoltre, la scelta di evitare e/o procrastinare un trattamento radiante in favore di un trattamento sistemico meno invasivo rappresenta un

Figura 2a. TAC c-t-a 28/08/23.
Figura 2b. RM encefalo con mdc del 20/09/23.
Figura 3. RM encefalo con mdc del 16/03/24.

cambiamento significativo nel paradigma del trattamento oncologico, con il potenziale di migliorare notevolmente l’outcome neurologico e la qualità di vita dei pazienti.

Conclusioni

Questo caso clinico evidenzia l’efficacia del T-DXd in un setting di metastasi cerebrali, sottolineandone la biodisponibilità cerebrale e la capacità di rivoluzionare l’approccio terapeutico in una delle complicazioni più gravi della diffusione metastatica del carcinoma mammario HER2 positivo. La scelta di trattare la paziente con T-DXd ha permesso quindi di ottenere un risultato clinico rilevante, dimostrando l’efficacia di questo farmaco anche in uno dei contesti clinici più sfidanti.

Conflitto di interessi: l’autore ha percepito fee per speaking da Lilly, Novartis, Pfizer, Gilead, Daiichi Sankyo, Amgen, MSD, Menarini; travel grant da Gilead, Daiichi Sankyo, Menarini, Pfizer, Novartis; ha inoltre percepito diritti d’autore da Il Pensiero Scientifico Editore - soggetto portatore di interessi commerciali in ambito medico-scientifico.

Bibliografia

1. Modi S, Jacot W, Yamashita T, et al.; DESTINY-Breast04 Trial Investigators. Trastuzumab deruxtecan in previously treated HER2-low advanced breast cancer. N Engl J Med 2022; 387: 9-20.

2. Cortés J, Kim SB, Chung WP, et al.; DESTINY-Breast03 Trial Investigators. Trastuzumab deruxtecan versus trastuzumab emtansine for breast cancer. N Engl J Med 2022; 386: 1143-54.

3. Hurvitz SA, Hegg R, Chung WP, et al. Trastuzumab deruxtecan versus trastuzumab emtansine in patients with HER2-positive metastatic breast cancer: updated results from DESTINY-Breast03, a randomised, open-label, phase 3 trial. Lancet 2023; 401: 105-17.

4. André F, Hee Park Y, Kim SB, et al. Trastuzumab deruxtecan versus treatment of physician’s choice in patients with HER2-positive metastatic breast cancer (DESTINY-Breast02): a randomised, open-label, multicentre, phase 3 trial. Lancet 2023; 401: 1773-85.

5. Swain SM, Baselga J, Kim SB, et al.; CLEOPATRA Study Group. Pertuzumab, trastuzumab, and docetaxel in HER2-positive metastatic breast cancer. N Engl J Med 2015; 372: 724-34.

6. Miles D, Ciruelos E, Schneeweiss A, et al.; PERUSE investigators. Final results from the PERUSE study of first-line pertuzumab plus trastuzumab plus a taxane for HER2-positive locally recurrent or metastatic breast cancer, with a multivariable approach to guide prognostication. Ann Oncol 2021; 32: 1245-55.

7. Corti C, Antonarelli G, Criscitiello C, et al. Targeting brain metastases in breast cancer. Cancer Treat Rev 2022; 103: 102324.

8. Kabraji S, Ni J, Sammons S, et al. Preclinical and clinical efficacy of trastuzumab deruxtecan in breast cancer brain metastases. Clin Cancer Res 2023; 29: 174-82.

9. Pérez-García JM, Vaz Batista M, Cortez P, et al. Trastuzumab deruxtecan in patients with central nervous system involvement from HER2-positive breast cancer: The DEBBRAH trial. Neuro Oncol 2023; 25: 157-66.

10. Jerusalem G, Park YH, Yamashita T, et al. Trastuzumab deruxtecan in HER2-positive metastatic breast cancer patients with brain metastases: a DESTINY-Breast01 subgroup analysis. Cancer Discov 2022; 12: 2754-62.

11. Hurvitz SA, Modi S, Li W, et al. 3770 A pooled analysis of trastuzumab deruxtecan (T-DXd) in patients (pts) with HER2-positive (HER2+) metastatic breast cancer (mBC) with brain metastases (BMs) from DESTINYBreast (DB) -01, -02, and -03. Ann Oncol 2023; 34: S335-S336.

12. Hurvitz SA, Kim S-B, Chung W-P, et al. Trastuzumab deruxtecan versus trastuzumab emtansine in HER2-positive metastatic breast cancer patients with brain metastases from the randomized DESTINYBreast03 trial. ESMO Open 2024; 9: 102924.

13. Bailleux C, Eberst L, Bachelot T. Treatment strategies for breast cancer brain metastases. Br J Cancer 2021; 124: 142-55.

Indirizzo per la corrispondenza: Armando Orlandi E-mail: armando.orlandi@policlinicogemelli.it

Inquadra il QR code per vedere i #clinicalcase in versione video oppure clicca su https://lc.cx/9ukncF

Turn static files into dynamic content formats.

Create a flipbook
Issuu converts static files into: digital portfolios, online yearbooks, online catalogs, digital photo albums and more. Sign up and create your flipbook.