Mimetismo clinico della poliangioite microscopica: diagnosi e trattamento di un caso complesso
Marco Fornaro1 , Laura Coladonato1
1 Rheumatology Unit, Department of Precision and Regenerative Medicine and Ionian Area, University of Bari, Italy.
![]()
Marco Fornaro1 , Laura Coladonato1
1 Rheumatology Unit, Department of Precision and Regenerative Medicine and Ionian Area, University of Bari, Italy.
La poliangioite microscopica, anche nota come micropoliangioite (MPA), è una vasculite che colpisce i vasi sanguigni di piccolo e medio calibro. Fa parte delle vasculiti ANCA (anticorpi anti-citoplasma dei neutrofili) associate, poiché spesso si riscontra una positività per questi anticorpi nel corso della malattia (80% dei casi). In particolare, nella MPA, gli anticorpi riscontrati sono gli anti-mieloperossidasi (anti-MPO), caratterizzati da un pattern di immunofluorescenza perinucleare (p-ANCA)1-2 .
La diagnosi di MPA può essere complessa a causa della variabilità delle manifestazioni cliniche (Tabella 1). I sintomi possono spaziare da segni costituzionali aspecifici come astenia, febbricola, malessere generale e lieve dispnea, a manifestazioni sistemiche organiche più specifiche. Tra queste ultime si annoverano la polineuropatia, la glomerulonefrite, la fibrosi polmonare e l’alveolite emorragica1-2 . La natura eterogenea dei sintomi rende necessaria una valutazione clinica dettagliata e spesso multidisciplinare per giungere a una diagnosi accurata.
La gestione terapeutica della MPA prevede l’uso di immunosoppressori, con la ciclofosfamide che rappresenta uno dei farmaci di prima linea3 . Recentemente, l’introduzione di avacopan, un inibitore del recettore del complemento C5a, ha aperto nuove prospettive terapeutiche, migliorando gli esiti clinici e riducendo la necessità di steroidi ad alte dosi 3 . Gli steroidi rimangono comunque una componente essenziale del trattamento, specialmente nelle fasi acute della malattia3 .
Nel presente caso clinico, descriviamo la storia di una paziente che ha ricevuto una diagnosi di MPA,
Organo/ Apparato Manifestazioni cliniche
Sintomi costituzionali astenia, febbricola, malessere generale, perdita di peso, lieve dispnea
Reni glomerulonefrite rapidamente progressiva, ematuria, proteinuria, insufficienza renale
Polmoni alveolite emorragica, tosse, emottisi, infiltrati polmonari, fibrosi polmonare
Sistema nervoso polineuropatia, mononeurite multipla
Cute porpora palpabile, lesioni papulo-nodulari, ulcere cutanee, livedo reticularis
Apparato gastrointestinale dolore addominale, diarrea, sanguinamento gastrointestinale, infarto intestinale
Muscoloscheletrico artralgia, mialgia, miosite
esordita con dispnea e progredita fino a causare un’emorragia alveolare. La paziente è stata trattata con successo utilizzando una combinazione di ciclofosfamide, avacopan e steroidi 3. La gestione integrata di questi farmaci ha permesso di ottenere un controllo efficace della malattia, evidenziando l’importanza di un approccio terapeutico multidisciplinare e personalizzato.
L’obiettivo di questo case report è di sottolineare l’importanza della diagnosi precoce e della terapia adeguata nella gestione della MPA, mettendo in luce le nuove opportunità offerte dai trattamenti emergenti come l’avacopan.
Una donna di 58 anni, affetta da diabete mellito di tipo II in trattamento con metformina, ipotiroidismo in terapia sostitutiva e ipertensione arteriosa ben controllata, ha sempre goduto di buona salute fino a giugno 2023. In quel mese, ha iniziato a manifestare una tosse stizzosa e persistente, accompagnata da febbricola con temperatura massima di 37,8°C. La paziente è stata trattata empiricamente dal medico curante con antibiotici beta-lattamici e, successiva -
mente, con macrolidi. Tuttavia, non ha mostrato alcun beneficio dalla terapia antibiotica in corso, continuando a presentare febbre, astenia e dispnea da sforzo.
Con il peggioramento della sintomatologia, ad agosto 2023, la paziente è stata sottoposta a valutazione pneumologica. L’esame obiettivo ha rivelato un calo ponderale significativo di 5 kg negli ultimi 5 mesi, mentre l’obiettività polmonare è risultata nella norma. Tuttavia, la saturazione di ossigeno (SO2) era del 94% a riposo, con desaturazione durante lo sforzo, rendendo necessaria l’aggiunta di ossigenoterapia al bisogno. A questo punto, la paziente è stata sottoposta a una serie di indagini laboratoristiche e strumentali per chiarire la causa dei sintomi persistenti.
Gli esami ematochimici hanno evidenziato un’anemia normocitica, un significativo aumento della velocità di eritrosedimentazione (VES) a 92 mm/h e della proteina C-reattiva (PCR) a 64 mg/L. La funzionalità epatica e renale, così come l’esame delle urine, sono risultati nella norma. Una radiografia del torace non ha mostrato alterazioni significative, mentre l’esame spirometrico ha evidenziato un quadro restrittivo caratterizzato da una lieve riduzione dei volumi polmonari (FVC 70%, FEV1 68%, DLCO 50%).
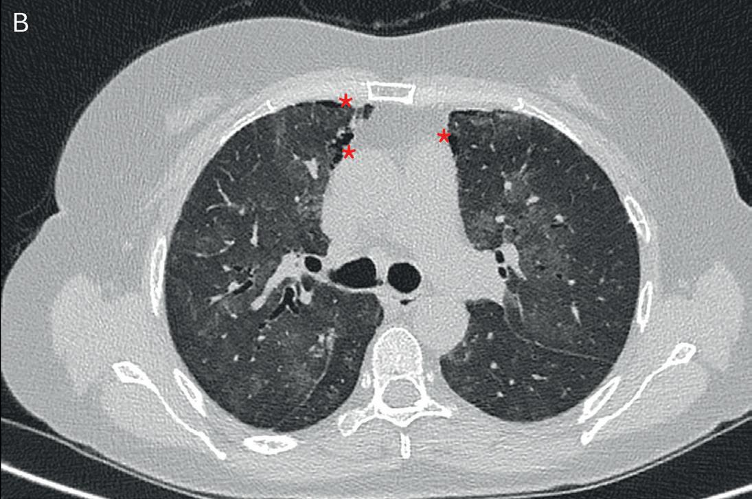
Figura 1. Plurimi infiltrati polmonari manifestazione di alveolite emorragica in un paziente con MPA (figura 1 A,B).
Presenza di bronchiectasie e iniziali cisti subpleuriche (asterischi figura 1B)


guiti esami ematochimici per polmonite atipica, test Quantiferon, HIV e tampone per SARS-CoV-2, tutti risultati negativi. Un lavaggio broncoalveolare (BAL) con esame colturale è risultato negativo, ma ha rivelato la presenza di numerosi granulociti neutrofili, una riduzione del rapporto CD4/ CD8 e macrofagi spesso pigmentati.
La paziente è stata quindi sottoposta a valutazione multidisciplinare e sono state avviate indagini sierologiche per patologie autoimmuni, tra cui ANA, ENA, anti-dsDNA, c-ANCA e p-ANCA. L’immunofluorescenza ha rilevato una positività per p-ANCA, successivamente caratterizzati come anti-MPO (122 UI/L). Sulla base della storia clinica, delle manifestazioni cliniche e dei risultati laboratoristici, è stata posta una diagnosi di vasculite MPA.
Considerate le comorbidità della paziente e la necessità di utilizzare la minor dose possibile di steroide, è stata avviata una terapia di combinazione con prednisone 25 mg/die, avacopan 30 mg due volte al giorno e ciclofosfamide 750 mg/m² in infusione mensile. Dopo un mese dall’inizio della terapia, la paziente ha mostrato un notevole miglioramento della dispnea (non necessitando più di ossigenoterapia al bisogno) e della sintomatologia clinica generale, con una significativa riduzione degli indici di flogosi (VES 45 mm/h e PCR 12 mg/L) e normalizzazione dei valori emoglobinici.
A quel punto è stata eseguita una tomografia computerizzata (TC) del torace che ha rivelato la presenza di plurime aree di opacità a vetro smerigliato senza un gradiente apico-basale evidenti in tutti i campi polmonari, con associate bronchiectasie e pseudocisti subpleuriche nelle porzioni anteriori del lobo medio (Figura 1). Per escludere un’eziologia infettiva, sono stati ese -
Questo miglioramento clinico è continuato nelle settimane successive. Dopo cinque somministrazioni di ciclofosfamide, con la paziente in terapia con avacopan 30 mg due volte al giorno e prednisone 2,5 mg/die, la ciclofosfamide è stata sospesa ed è stata aggiunta terapia con azatioprina 100 mg/die. A nove mesi dall’inizio della terapia, la paziente mantiene la remissione clinica e ha sospeso completamente il prednisone, continuando il trattamento con avacopan 30 mg due volte al giorno ed azatioprina 100 mg/die.
Questo caso clinico illustra la complessità diagnostica e terapeutica della micropoliangioite (MPA). La paziente, inizialmente trattata per una sospetta infezione respiratoria, ha manifestato sintomi persistenti e peggiorativi che hanno richiesto un approfondimento diagnostico multidisciplinare. Le manifestazioni polmonari della MPA sono varie e possono essere confuse con numerose malattie infettive. Nel caso in questione, il quadro clinico era compatibile con una polmonite interstiziale e solo l’esecuzione del BAL, che ha evidenziato macrofagi pigmentati, ha indirizzato la diagnosi verso un’alveolite emorragica, una manifestazione clinica della MPA. Questo sospetto è stato poi confermato dalla presenza di p-ANCA e anti-MPO. Inoltre, la paziente presentava anche aspetti bronchiectasici e cisti subpleuriche. Non è raro riscontrare nella MPA fibrosi polmonare, quadro caratteristico che è stato incluso tra i criteri classificativi EULAR per MPA 5 , l’unica vasculite in cui è presente questo specifico interessamento polmonare. Il quadro fibrotico in corso di MPA può essere variegato, tuttavia, quello più frequentemente associato è il pattern di usual interstitial pneumonia6 , simile a quello della fibrosi polmonare idiopatica. È importante considerare questa diagnosi differenziale, soprattutto nei pazienti con manifestazioni sistemiche come febbre, malessere generale e artralgie, accompagnate da un aumento degli indici di flogosi. Il trattamento combinato con ciclofosfamide, avacopan e prednisone è stato scelto per minimizzare il dosaggio cumulativo di steroide in una paziente affetta da diabete mellito di tipo II e ipertensione arteriosa. Sebbene il trial clinico ADVOCATE4 abbia escluso pazienti con emorragia alveolare severa in ventilazione meccanica, recenti case series sembrerebbero evidenziare l’efficacia di avacopan anche in questo contesto
clinico7,8 . Nel nostro caso, questo approccio ha portato a un miglioramento significativo della sintomatologia e a una riduzione degli indici di flogosi, consentendo la sospensione della ciclofosfamide e, successivamente, del prednisone. Tale strategia ha permesso di gestire efficacemente la malattia, minimizzando gli effetti collaterali dei corticosteroidi.
Interrogativi futuri includono la possibilità di mantenere la remissione a lungo termine con avacopan, ridurre il carico immunosoppressivo e ottimizzare la gestione a lungo termine della terapia di mantenimento, sia essa mono o combinata.
Il caso evidenzia l’importanza di un’accurata diagnosi e di un trattamento tempestivo e mirato nella gestione della MPA. L’uso combinato di immunosoppressori e nuovi agenti come l’avacopan ha dimostrato di essere efficace nel controllo della malattia e nel miglioramento della qualità di vita della paziente. La remissione clinica ottenuta riducendo il dosaggio cumulativo di corticosteroidi sottolinea il potenziale di queste nuove terapie nel trattamento delle vasculiti ANCA associate, offrendo nuove speranze per una gestione più sicura ed efficace.
Diagnosi multidisciplinare e precoce: La diagnosi di poliangioite microscopica (MPA) richiede una valutazione clinica multidisciplinare a causa della variabilità delle manifestazioni cliniche. La diagnosi precoce, supportata da indagini laboratoristiche e strumentali dettagliate, è cruciale per un trattamento tempestivo ed efficace.
Trattamento personalizzato: L’uso di una combinazione di immunosoppressori come ciclofosfamide, avacopan e steroidi può portare a un controllo efficace della malattia. Questo approccio ha dimostrato di ridurre la necessità di steroidi ad alte dosi, minimizzando così gli effetti collaterali nei pazienti con comorbidità come il diabete mellito e l’ipertensione arteriosa.
Efficienza di avacopan: L’introduzione di avacopan, un inibitore del recettore del complemento C5a, ha mostrato miglioramenti significativi negli esiti clinici, consentendo una gestione della MPA con un minore uso di corticosteroidi e riducendo il rischio di effetti collaterali associati.
1. Kronbichler A, Bajema IM, Bruchfeld A, et al. Diagnosis and management of ANCA-associated vasculitis. Lancet 2024; 403(10427): 683-698.
2. Nguyen Y, Pagnoux C, Karras A, et al. Microscopic polyangiitis: Clinical characteristics and longterm outcomes of 378 patients from the French Vasculitis Study Group Registry. J Autoimmun 2020; 112: 102467.
3. Hellmich B, Sanchez-Alamo B, Schirmer JH, et al. EULAR recommendations for the management of ANCA-associated vasculitis: 2022 update. Ann Rheum Dis 2024; 83: 30-47.
4. Jayne DRW, Merkel PA, Schall TJ, Bekker P; ADVOCATE Study Group. Avacopan for the Treatment of ANCA-Associated Vasculitis. N Engl J Med 2021; 384(7): 599-609.
5. Suppiah R, Robson JC, Grayson PC, et al. 2022 American College of Rheumatology/European Alliance of Associations for Rheumatology classification criteria for microscopic polyangiitis. Ann Rheum Dis 2022; 81(3): 321-326.
6. Sebastiani M, Luppi F, Sambataro G, et al. Interstitial lung disease and anti-myeloperoxidase antibodies: not a simple association. J Clin Med 2021; 10(12): 2548.
7. Chalkia A, Flossmann O, Jones R, et al. Avacopan for ANCA-associated vasculitis with hypoxic pulmonary haemorrhage. Nephrol Dial Transplant 2024; 39(9): 1473-1482.
8. Falde SD, Cartin-Ceba R, Mertz L, et al. Treatment With avacopan for anca-associated vasculitis with diffuse alveolar hemorrhage. Chest 2023; 164(4): A3067-A3068.
Corrispondenza: Marco Fornaro, Department of Precision and Regenerative Medicine and Ionian Area, University of Bari, Bari Piazza G. Cesare 11, CAP 70124, Italy. marco.fornaro@uniba.it
Conflitto di interessi: Il dottor Marco Fornaro dichiara di aver avuto rapporti di collaborazione con Abbvie, Boehringer Ingelheim, Galapagos, GlaxoSmithKline, Lilly, CSL Vifor.
La dott.ssa Laura Coladonato dichiara di aver avuto rapporti di collaborazione con GlaxoSmithKline ed Astrazeneca.
Il presente caso clinico è stato realizzato in collaborazione con