



![]()




We are thrilled to introduce the Winter 2025–2026 edition of PDM Explorer, proudly presented by the Vernon Brightman Research Society (VBRS). As Penn Dental Medicine’s primary studentled research organization and the local chapter of the National Student Research Group (NSRG), affiliated with the American Association for Dental, Oral, and Craniofacial Research (AADOCR), VBRS continues to foster curiosity, collaboration, and discovery across our school.

Guided by the legacy of Dr. Vernon J. Brightman, a devoted faculty member and passionate advocate for student scholarship, VBRS has spent more than two decades championing student involvement in research. We remain committed to empowering students to engage in research across basic science, clinical innovation, and public health, and to see themselves as active contributors to the future of the field. In this fourteenth edition of PDM Explorer, we are excited to highlight recent initiatives and ongoing efforts that inspire student engagement in research at Penn Dental Medicine.
We began the fall semester by reimagining how students connect with research through our Virtual Research Speed Dating Event. This interactive program brought together student mentors from diverse research backgrounds, offering an accessible snapshot of the breadth of research opportunities at PDM. By highlighting not only what research is happening but why students pursue it, the event sparked meaningful conversations and inspired new academic paths.
Another exciting milestone was our Annual Student-Faculty Research Mixer, which welcomed over 150 students and faculty from across disciplines. The event created a dynamic space for networking and collaboration, further strengthening the student research community at PDM and reinforcing the value of interdisciplinary engagement.
Looking ahead, we are excited to expand our programming with upcoming initiatives, including writing workshops and guest speaker events featuring leaders in dental research. These efforts reflect our continued commitment to lowering barriers to research involvement and supporting students at every stage of their scholarly journey.
In this edition of PDM Explorer, we are proud to spotlight the exceptional students and faculty who are pushing boundaries, asking bold questions, and advancing research at Penn Dental Medicine and beyond. Thank you for your continued support of VBRS and student research. We hope you enjoy the Winter 2025–2026 edition of PDM Explorer.
Sincerely,
SHERRY SCHNEIDER D’27 AND TAYLOR DEVINE D’27 VBRS Co-Presidents
This Spring, VBRS will be hosting our annual proposal writing workshop to aid students applying to the Summer Research Program and Research Honors. Dr. Kang Ko will explain the different components and requirements of the proposal. Anyone interested in applying to these programs should stay tuned for updates on the exact date and plan on attending this workshop.
VBRS is excited to introduce a new Email and Resume Workshop in the Spring. We aim to help students prepare strong resumes and learn how to effectively reach out to faculty for research opportunities. These skills are also broadly applicable to internships, clinical experiences, and other professional settings. Please stay tuned for updates on the exact date and time.
The 5th annual Advances in Clinical Care and Education Day (ACCE) will take place on May 14, 2026. This event will showcase PDM’s initiatives in clinical care, education and community outreach. ACCE day was created to celebrate the great amount of clinical and educational achievements at PDM. This is a wonderful opportunity to hear about the clinical accomplishments of students and faculty.
On April 15, 2026, PDM will come together for Research Day to celebrate student and faculty research. The event will be held in-person this year. This exciting event will be filled with numerous presentations given by faculty and guest speakers, as well as poster sessions from students in the Summer Research Program and Research Honors. Furthermore, student and junior research will be recognized with the selection of the 2026 AADOCR Travel Grants. Research Day is a great all-day event to learn about the innovative research that is going on in the school.















The Vernon Brightman Research Society (VBRS) Executive Board members for the current academic year include the following individuals. They invite students with an interest in research to join VBRS.
CO-PRESIDENTS: Taylor DeVine D’27 (1) & Sherry Schneider D’27 (2)
TREASURER: Elisa Lipkin D’27 (3)
SECRETARY: Jeslyn Mei D’28 (4)
DIRECTOR OF EVENTS: Jake Feldman D’28 (5)
DIRECTOR OF OUTREACH: Alyssia Liu D’28 (6)
DIRECTOR OF NEWSLETTER: Dayoon Chang D’27 (7)
NEWSLETTER EDITORS: Helen Alvis D’28 (8) & Grace Wu D’28 (9)
PASS STUDENT REPRESENTATIVE: Ghazaal Parastooei D’27 (10)
D3 REPRESENTATIVE: John Kim D’27 (11)
D2 REPRESENTATIVE: Kenny Feng D’28 (12)
D1 REPRESENTATIVES: Eliana Diep D’29 (13), Sriya Neelam D’29 (14), and Rima Amin D’29 (15)
VBRS is the primary student research organization at Penn Dental Medicine. Named in honor of Dr. Vernon J. Brightman, a former PDM faculty member and proponent of student research, VBRS has created opportunities and gathered resources for students to help find their niche in research. The society promotes interest, participation, and appreciation of basic and clinical oral health research that keeps dentistry a science and researchbased profession. VBRS is PDM’s chapter of the American Association for Dental, Oral and Craniofacial Research (AADOCR) National Student Research Group. Dr. Kang Ko, Associate Professor in the Department of Periodontics, and Dr. Esra Sahingur, Associate Dean of Graduate Studies and Student Research and Associate Professor in the Department of Periodontics, are the VBRS faculty advisors.
This newsletter highlights students’ research accomplishments, past and upcoming events, and student and faculty interviews.
Can you tell us a bit about yourself and your background before coming to Penn
I studied biochemistry at Tufts University and graduated in 2019. Dentistry first sparked my interest because of my own orthodontic treatment growing up — I remember how transformative the entire process felt. That experience initially opened the door for me, but I deliberately kept an open mind throughout dental school. I took the opportunity to shadow and learn from as many specialties as I could so my choice would come from genuine curiosity rather than familiarity. With that exploration, orthodontics continued to stand out to me. I loved the blend of creativity, biomechanics, and problem-solving, along with the unique privilege of accompanying patients throughout long-term treatment journeys. After graduating from Penn Dental Medicine in 2023, I was fortunate to continue my training here as an orthodontic resident.
Penn stood out to me because of its exceptional balance between didactic rigor and clinical experience. We are in clinic every day, which builds a solid clinical foundation. At the same time, the curriculum pushes us to understand the evidence, philosophy, and biomechanics behind our decisions.
Another defining aspect is the faculty. They bring diverse perspectives that encourage us to think critically about treatment planning instead of relying on a single approach. Their mentorship extends well beyond the clinic — they carry forward long-standing Penn Ortho traditions such as wine tasting, dinner gatherings, and office visits. These moments shape not only our clinical training but also highlight a sense of community in my residency experience.
I wanted a program that would challenge me, support me, and help me grow into a thoughtful and well-rounded clinician. Penn Ortho appeared to align with that really well.
During residency, my primary research focuses on the effects of lip bumper effects as part of the early interceptive treatment, and investigates the dental and skeletal changes associated with this appliance and its clinical implications. I also presented a case study on using a vacuum-formed palatal Essix stent to manage complications following surgically assisted rapid palatal expansion (SARPE). The case highlighted how creative, accessible solutions can improve postoperative outcomes and patient comfort.
My research journey at Penn began the summer after D1, when I joined the Summer Research Program and worked with Dr. Esra Sahingur on a literature review examining epigenetic alterations in periodontal disease. That experience helped me understand how basic science connects with clinical decision-making. Later, I was very grateful to be selected for the Orthodontics Honors Program, where I worked with Dr. Chenshuang Li on a project characterizing the microbiome profile in cleft lip and palate patients. Being exposed to this intersection of microbiology, craniofacial development, and orthodontics provided valuable insight into how research contributes to improving care for complex patient groups. In residency, research is part of our curriculum, and all residents are involved in a research project. I appreciate that Penn continues to encourage scientific curiosity while training us clinically.

The biggest challenge has been balancing the demands of clinical, didactic and administrative responsibilities with the consistency and discipline that research requires. Residency is a fast-paced environment, and identifying time to measure and analyze data, or think deeply about a project can be difficult. But this challenge has also taught me important skills in time management, and learning how to make steady progress even in small steps. It has helped me develop resilience and a better sense of how to integrate academic pursuits into a busy clinical career.
What advice would you give to a younger version of yourself if you were to restart your dental and research career?
I would tell my younger self to trust the process a little more and to not be afraid of paths that feel uncertain. Some of the most impactful experiences I’ve had came from pushing myself beyond what felt familiar — whether it was joining a project, taking on a new leadership role, or applying to an opportunity that seemed daunting at first.
I would also remind myself that growth doesn’t always happen in big, dramatic moments. Often, it comes from showing up consistently, being curious, asking questions, and seeking mentors who champion you. And finally: don’t rush to have everything figured out. Staying open, humble, and willing to learn will help your path unfold. I’m extremely grateful for all the support and care I’ve been fortunate to receive throughout my journey.
The annual VBRS Research Speed Dating event took place virtually on September 30, 2025. This event granted PDM students the opportunity to speak with other students involved with research both inside and outside of the dental school. The student research panel consisted of students with a variety of research experiences such as the summer research program, research honors, independent projects, etc. This event served as an excellent resource to students interested in pursuing research during their time at PDM.

RESEARCH HONORS
Dayoon Chang D’27 dayoonc@upenn.edu
Sherry Schneider D’27 sherry31@upenn.edu
LEONARD DAVIS INSTITUTE
Laveda Chan D’28 laveda@upenn.edu
Alyssia Liu D ‘28 alyssia@upenn.edu
Sonia Gazula D’28 sgazula@upenn.edu
SUMMER RESEARCH
Jeslyn Mei D’28 jeslynm@upenn.edu
Emily Luo D’28 emilyluo@upenn.edu
Kenny Feng D’28 kennyf@upenn.edu
Emma Linn D’27 emmalinn@upenn.edu
NIH RESEARCH
Bisrat Demissie D’27 bisrat@upenn.edu

VBRS held our annual Faculty/Student Research Mixer on December 12, 2025 in the Lerner Pavilion of Penn Dental Medicine. The event featured numerous renowned PDM faculty members who are currently performing research and students were given the opportunity to interact directly with faculty to ask them questions about their work. This event was a huge success and allowed PDM students to learn about the variety of research opportunities available at the school.
INDEPENDENT RESEARCH
Taylor DeVine D’27 taydev@upenn.edu
Elyse Migdal D’28 emigdal@upenn.edu
MSOB RESEARCH
Samuel Suslavich D’28 samfs@upenn.edu
Aleena Defreitas D’28 aleenad@upenn.edu
Dean Dr. Mark Wolff, Dr. Marco Tizzano, Dr. Quanzhou Zhang, Dr. Hyun (Michel) Ko, Dr. Roopali Kulkarni, Dr. Beverley Crawford, Dr. Katherine France, Dr. Maya Ramachandran, Dr. Katherine Theken, Dr. Thomas Sollecito, Dr. Claire Mitchell, Dr. Hydar Ali, Dr. Kang Ko, Dr. Shuying Yang, Dr. Kathleen Boesze-Battaglia, Dr. Myra Laird, Dr. Kyle Vining, Dr. Alicia Risner-Bauman, Dr. Esra Sahingur, Dr. Alonso Carrasco-Labra, Dr. Michael Glick, Dr. Gary Cohen
The Summer Research Program is for current Penn Dental Medicine students to engage in a basic laboratory or clinical research project. The purpose of the program is to give interested dental students a chance to experience both basic and clinical dental research from a “hands-on” perspective by participation in an ongoing faculty research investigation. Student researchers are expected to work full time during the summer and continue their research throughout the academic year with a faculty advisor on a mutually agreed research project.
REQUIREMENTS TO APPLY:
• Complete the application
• Research proposal
• Good academic standing
• Able to commit full time on their research projects during the summer
• Basic training in Laboratory Safety and Bioethics in Research.
APPLICATION DUE DATE: March 13, 2026
CONTACT:
Dr. Esra Sahingur, Associate Dean of Graduate Studies and Student Research, sahingur@upenn.edu
MORE INFORMATION:
https://www.dental.upenn.edu/research/ student-research/summer-research/ https://www.dental.upenn.edu/research/ student-research/summer-2022-studentresearchers/ Summer Research Program Application: https://app.smartsheet.com/b/ form/876df5fb267f4d3b8ef9ba 079dc341f1
The Honors in Research Program is open to students in their first or second year at PDM. The competitive honors program is designed to cultivate a leadership outlook in a select group of exceptional students and enable them to develop the skills to leverage their leadership potential in the following honors areas; Basic and Translational Research, Clinical Dentistry, Clinical Research, Community Health, Endodontics, Oral and Maxillofacial Surgery, Orthodontics, Pediatric Dentistry, Vulnerable Populations, Periodontics as well as Radiological Sciences. All Honor students present their work at the annual Penn Dental Research Day, are required to write a Research Honors thesis, and may be eligible to compete for many school-wide research travel grants and awards.
REQUIREMENTS TO APPLY:
• Complete the application
• 1st or 2nd year student
• Minimum undergraduate science GPA of 3.5
• Minimum GPA of 3.25 in every semester of dental school
• Letter of recommendation of past or present research supervisor
• Thorough research proposal
• Timeline for project completion
APPLICATION DUE DATE: March 15, 2026
CONTACT:
Dr. Kathleen Boesze-Battaglia, Director of Honors Program, battagli@upenn.edu
MORE INFORMATION:
https://www.dental.upenn.edu/research/ student-research/basic-translationalresearch-honors-program/
OTHER HONORS PROGRAMS:
https://www.dental.upenn.edu/admissionsacademics/dmd-program/honors-program/
“Penn Dental Medicine in collaboration with the Leonard Davis Institute of Health Economics and the Health Care Management Department of the Wharton School supports stipend-based summer research fellowships for dental students interested in working on a health services or health policy research project during the summer between their first and second year of dental school.” Depending on available mentors, research opportunities are extremely diverse from relevant to oral healthcare to faculty somewhere else on the Penn campus. At the conclusion of the 10-12 week program, students present their research findings to faculty, staff, and fellow participants. You have the opportunity to go to the Academy Health Research Meeting which is in a different location every year (2026 ARM is in Seattle, WA). You get to meet leading professionals of health services research, including those in the oral health field.
REQUIREMENTS TO APPLY:
• Online application form
• Resume
• Headshot
• Two (2) letters of recommendation. The letters of recommendation should address your academic accomplishments and related research experience.
• The letters of recommendation should be sent directly from the recommender to Joanne Levy as a PDF attachment.
APPLICATION DUE DATE: February 15, 2026
APPLICANT INTERVIEWS: March 2026
ADMISSIONS NOTIFICATIONS: April 2026
CONTACT:
Joanne Levy, Founding Director, SUMR Program and Director of Student Initiatives, Penn LDI, levyj@wharton.upenn.edu
Margaret Yang, MseD, Director of Student Affairs and Engagement, Penn Dental Medicine, xiaojiao@upenn.edu
MORE INFORMATION:
https://ldi.upenn.edu/education/penn-lditraining-programs/ldi-penn-dental-summer-
Students interested in pursuing a dual-degree program must submit an application to the PDM Dual-Degree Admissions Committee during the spring of their first year. The close association between Penn Dental Medicine and other professional schools, departments, and divisions of the University affords unique opportunities for exceptional students able to meet the rigorous application standards of both Penn Dental Medicine and a second program at the University of Pennsylvania. Students interested in an academic career most often consider the dual-degree option. A student enrolled in a dual degree program must complete the Master’s program prior to obtaining the DMD diploma.
The current dual-degree options are Master of Bioethics, Master of Public Health, Master of Science in Bioengineering, Master of Science in Higher Education, Master of Science in Nutrition Science, Master of Science in Oral and Population Health, Master of Science in Translational Research, Master’s in Law, Juris Doctor in Law, and Master of Business Administration. Each program has different admissions standards.
REQUIREMENTS TO APPLY:
• Requirements/Tuition depends on individual program
• Master of Science in Oral and Population Health (MOPH):
• Bachelor’s degree
• $100 application fee
• Official transcripts from all colleges and universities attended
• Two letters of evaluation
• Curriculum vitae (CV)
• Letter of Intent
• See individual program websites for each program’s specific requirements
MORE INFORMATION:
https://www.dental.upenn.edu/admissionsacademics/dmd-program/dual-degree-options/ https://www.youtube.com/playlist?list=PLH1dq3 zKBgjoF63hLnvjnzE8CxaX_-bYc
2026 IADR/AADOCR/CADR Annual Meeting & Exhibition will be held on March 25-28, 2026 in San Diego, CA. The event will include oral and poster presentations, distinguished lecture series, and an exhibit hall. Students may submit abstracts of their research to be considered. Accepted students will present their research poster or oral presentation at the symposium.
MORE INFORMATION: https://www.iadr.org/events/upcoming-events/ iadraadocrcadr-general-session-exhibition If you are interested in pursuing research, please fill out the Research Opportunities Request form: app.smartsheet.com/b/ form/5c5c363bdba34ed1abbdb103ba18ffe1 Questions about student research at PDM can be directed to: PDMStudentResearch@dental. upenn.edu

Alyssia Liu , D’28
AADOCR NATIONAL STUDENT RESEARCH GROUP (NSRG) NOMINEE
The AADOCR NSRG is a student run organization and has opened up elections for their officer positions. Alyssia Liu (D ‘28) was selected as Penn Dental Medicine’s nominee for the 2026-2027 cycle and is a candidate for the position of Councilor. We wish Alyssia the best of luck and are excited at the prospect of her representing Penn Dental Medicine at the National Level!
2025 AADOCR STUDENT RESEARCH FELLOWSHIP:
Dayoon Chang, D’27
Dissecting Elastic Mechanics in Oral Cancer Tumor Regulation
FACULTY ADVISOR: Kyle Vining
Zilin Guo, D’27
Production and Characterization of Bispecific Antibodies Targeting Herpes Simplex Virus Glycoprotein C
FACULTY ADVISOR: Gary Cohen
Yesul Ashley Kang, D’27
Acetaldehyde-Driven DNA Damage, Fanconi Anemia, and Oral Microbiome Carcinogenesis
FACULTY ADVISOR: Flavia Teles
Sherry Schneider, D’27
Modulation of Cytolethal Distending Toxin Induced Inflammation by LGM2605 in Macrophages
FACULTY ADVISOR: Kathleen Boesze-Battaglia
Samuel Suslavich, D’28
Impact of Fisetin on Gingival Senescence and Bone Phenotype in Aging Mice
FACULTY ADVISOR: Sinem Esra Sahingur
SACHET AMIN
Targeted Delivery of L-Arginine via Nanocarriers for Biofilm Disruption and Dental Caries Prevention
FACULTY ADVISOR: Geelsu Hwang
BAHAR AZADI
Exploring Quercetin as a Modulator of MRGPRX2-Mediated Mast Cell Responses in Allergic and Inflammatory Diseases
FACULTY ADVISOR: Hydar Ali
MICHAEL BELLINO
Exploring the Role of the Taste Signaling Pathway in Macrophage Responses and its Potential to Aid in Periodontal Issues
FACULTY ADVISOR: Marco Tizzano
VICTORIA CHAN
Transforming Dental Restorations with Embedded BTO-AU Nanoparticles
FACULTY ADVISOR: Geelsu Hwang
JIMMY CHENG
Investigation of the Topical Delivery of mRNA Therapeutics to Dentin Using Bisphosphonate Nanomaterials
FACULTY ADVISOR: Kyle Vining
KAINING (KENNY) FENG
Investigating the Role of YAP/TAZ in Bone Marrow Mesenchymal Stem Cells
FACULTY ADVISOR: Chider Chen
EDWIN LEE
Investigating the Impact of Osteoarthritis on Implant Survival Rates
FACULTY ADVISOR: Brian Ford
ZICONG LI
Cyclodextrin-Modified PLGA-Loaded Shikonin for Targeting Tumor-Associated Macrophages in Oral Cancer
FACULTY ADVISOR: Qunzhou Zhang
XINGE (CHRISTINA) LI
Cyclodextrin-Modified PLGA-Loaded R848 Nanoparticles for Targeting TumorAssociated Macrophages in Oral Cancer
FACULTY ADVISOR: Qunzhou Zhang
ZHIYU (ANNABELLA) LI
Epithelial Ferroptosis and IL33 Pathway as a Key Pathologic Mechanism in Periodontitis
FACULTY ADVISOR: Kang Ko
SERENA LIU
Evaluating the Efficacy of the Enzyme Cocktail to Block Aldehyde Production by Candida albicans
FACULTY ADVISOR: Henry Daniell
EMILY LUO
The Impact of Gold-Nanoparticle Coating on Antibiofilm Function of BTO Dental Implants
FACULTY ADVISOR: Geelsu Hwang
AMANDA MAVRICOS
Straight Wire Brackets vs. Clear Aligners: A Comparative Study of Post-Operative Occlusion in Orthognathic Surgery
FACULTY ADVISOR: Brian Ford
HARSHA MEDURU
Investigating the Potential for Cationic Polyurethanes to Stimulate Mast Cells via MRGPRX2
FACULTY ADVISOR: Hydar Ali
JESLYN MEI
The Effect of Fisetin on Senescence and mTOR/STAT3 in Gingival Keratinocytes
FACULTY ADVISOR: Esra Sahingur
SEAN MORAN
Investigating the Impact of Different Bone Grafts on Implant Survival
FACULTY ADVISOR: Brian Ford
ARTH NAYAK
“Optimal Bite:” Understanding Isometric and Dynamic Interplay in Mastication Forces for Proper Bolus Development
FACULTY ADVISOR: Myra Laird
GINA OH
TSC’s Proliferative and Differentiation Properties for Tissue Regeneration Therapy
FACULTY ADVISOR: Chider Chen
RACHEL PARK
Investigation of Bacterial Colonization and Biofilm Formation on ToothLike Hydroxyapatite Structures
FACULTY ADVISOR: Geelsu Hwang

DHRUVI PATEL
Utilization of Nanocarriers for Targeted Delivery of Enzymes to Disrupt Oral Biofilm Formation
FACULTY ADVISOR: Geelsu Hwang
PARTH PATEL
The Role of NF-κB in Mesenchymal Stem Cells in Regulating Osteogenesis During Maxillary Expansion
FACULTY ADVISOR: Hyeran Helen Jeon
RENALI PATEL
Condylar Changes in Temporomandibular Joint Development in Mice Animal Models
FACULTY ADVISOR: Wenjing Yu
GABRIELLA PERCHEKLY
Dental Pulp Protection Mediated by the Taste Signaling Pathway
FACULTY ADVISOR: Marco Tizzano
CONNOR RIESENBERGER
Flexural Strength of Compositional Gradient Multilayer Zirconia under High-Speed Sintering
FACULTY ADVISOR: Yu Zhang
NATALIE WANG
Preoperative Psychological Predictors of Outpatient Pain Trajectory PostThird-Molar Extraction
FACULTY ADVISOR: Katherine Theken
LIA WILMOTH
Therapeutic Role of Gli1+ Mesenchymal Stem Cells in Craniosynostosis
FACULTY ADVISOR: Wenjing Yu
GRACE WU
Investigating the Role of FoxO1 in Osteogenesis during Development under Type 2 Diabetes (T2DM)
FACULTY ADVISOR: Shuying Yang
SHUCHEN ZHANG
Hydroxyapatite-Targeted si-STAT3 Delivery via Lipid Nanoparticles for Periodontal Diseases
FACULTY ADVISOR: Kyle Vining
BASIC & TRANSLATIONAL SCIENCE HONORS STUDENTS
KAREAM AL-JABBAN, D’27
Novel Mast Cell g Protein Coupled Receptor in Inflammation
FACULTY ADVISOR: Hydar Ali
MICAELA LAUREN CHIN, D’27
Property Comparisons of High Speed, Speed, and Conventional Sintered 3.5Y Zirconia
FACULTY ADVISOR: Yu Zhang
ANNABELLE SEUNG AH CHOI, D’28
Age-related Changes in Soft Tissue Responses to Mechanical Force-Induced Bone Remodeling
FACULTY ADVISOR: Helen Jeon
JAKE D. FELDMAN, D’28
Mapping the Role of Exosome in Orofacial MSC-Mediated Tissue Regeneration
FACULTY ADVISOR: Chider Chen
SONIA SAI GAZULA, D’28
Mapping the Roles of Stromal Progenitors by Spatial Transcriptome Analysis in Squamous Cell Carcinoma
FACULTY ADVISOR: Chider Chen
MINYOUNG KWON, D’29
Regulation of Specific Genes Can Affect the Functional Integrity of the Oral Epithelium
FACULTY ADVISOR: Dana Graves
YIN-CHU (INGRID) LAI, D’28
Sex Differences in Inflammation and Analgesic Response in Post-Surgical Dental Pain
FACULTY ADVISOR: Katherine Theken
YUANTONG (RACHEL) LI, D’27
Targeted Delivery of STAT3-siRNA in Lipid Nanoparticles for Periodontal Disease Therapy
FACULTY ADVISOR: Kyle Vining
HEEWON SOHN, D’27
The Impact of Matrix Stiffness on Key DPSC Functions Essential for Pulp Regeneration, Particularly Their Differentiation Capacity into Odontoblasts within a 3D Hydrogel System
FACULTY ADVISOR: Kyle Vining
MARVIN MIN TUN, D’27
Exploring Genetic Polymorphisms in the PTGS1 Gene and Their Association with Opioid Use for Postoperative Pain Management
FACULTY ADVISOR: Katherine Theken
CAROLINE PALMER, D’27
The Effect of NF-κB Inhibition in MSCs on Soft Tissue Remodeling During Maxillary Expansion
FACULTY ADVISOR: Helen Jeon
CLINICAL RESEARCH HONORS
SCRUTI SAILAM, D’26
Factors influencing Participation in Clinical Research
FACULTY ADVISOR: Eugene Ko
HAFSA FATIMA, D’26
Assess Dental Students’ Knowledge, Confidence, and Preparedness Regarding Clear Aligner Therapy and Orthodontic Care at Penn Dental Medicine
FACULTY ADVISOR: Chenshuang Li
STEPHANIE MOGA, D’27
Impacts of Specific Antiretroviral Treatment (ART) Regimens on Bone Health in Patients Living with HIV
FACULTY ADVISOR: Temitope Omolehinwa
LDI- PENN DENTAL
SUMMER HEALTH SERVICES RESEARCH FELLOWSHIP
LAVEDA CHAN, D’28
An Exploratory Analysis of Medicare Part D Formulary: Implications for Prescription Drug Access
FACULTY ADVISOR: Alexander Olssen
SONIA GAZULA, D’28
Healthy Lungs: Comparing Ways to Promote Smoking Cessations for Underserved Populations Referred for Lung Cancer Screening; MOLAR Audit Study: Boston, Philadelphia, & Florida
FACULTY ADVISOR: Joanna Hart and Danielle Cullen
ALYSSIA LIU, D’28
MOLAR Audit Study: Boston, Philadelphia, & Florida; Inclusion of Language-Diverse Children and Families in Autism-Related Clinical Trials
FACULTY ADVISOR: Danielle Cullen and Kate Wallis
HEATHER LOO, D’28
MOLAR Audit Study: Boston, Philadelphia, & Florida; Working Together for a Healthier Philadelphia
FACULTY ADVISOR: Danielle Cullen and Erica Dixon
NATALIE SADEK, D’28
Interest-Holder Engagement: A living evidenceinformed guideline for the early detection of oral potentially malignant disorders and oral squamous cell carcinoma;Protocol Writing: Oral Health and Substance Use Disorder: a Pilot Mixed-Methods Cohort Inquiry
FACULTY ADVISOR: Alonso Carrasco-Labra and Kari Hexem
Can you tell us a little bit about yourself and your background before coming to Penn Dental?
Before joining Penn Dental Medicine, I led a research program at Rutgers University and Dartmouth College focused on the oral and gut microbiome and its intersection with early life exposures, infectious diseases and oral health. My path to this work has been shaped by training across three disciplines 1) dentistry (I earned my dental degree from the University of Ibadan in Nigeria), 2) public health sciences including biostatistics and epidemiology (I earned an MPH from Johns Hopkins University), and 3) molecular epidemiology, genomics sciences and dentistry (led to bagging a PhD in Epidemiology from the University of Maryland School of Medicine). These experiences fostered my commitment to understanding how biological, behavioral, and environmental factors interact to influence oral and systemic health, especially in vulnerable populations.
Can you talk about what your ongoing research projects are?
My research focuses on how the oral microbiome and inflammatory pathways connect to systemic and neurodevelopmental health outcomes.

At Penn Dental Medicine’s Center for Clinical and Translational Research (CCTR), we’re leading a diverse portfolio of translational research projects that bridge oral, systemic, and neurocognitive health across the lifespan and global contexts. My current studies integrate multi-omics and clinical data to understand how microbial, inflammatory, and epigenetic pathways shape health outcomes in populations affected by HIV and related conditions. Current projects include the AHEAD/ iHOME studies, which examine how HIV and antiretroviral therapy influence biological aging, oral microbiome diversity, and neurocognition in adults; the uBLOoM and HOMINY studies, which investigate oral microbial and viral interactions, including HPV persistence, among adolescents and youth in Nigeria; and several pediatric cohorts focused on caries risk, salivary biomarkers, and treatment access among HIV-exposed children. Together, these projects leverage the clinical research infrastructure of Penn Dental Medicine’s Center for Clinical and Translational Research (CCTR) and international collaborations to uncover biologic mechanisms, inform preventive strategies, and promote equitable, datadriven oral health interventions. Across all projects, CCTR’s goal is to translate biological science into practical, clinicbased or community-informed health solutions.

“Students are at the heart of our work. CCTR provides an immersive environment where undergraduate, pre-doc and post-doc dental students engage directly in research, from participant recruitment and data collection to laboratory assays and data analysis.”
MODUPE COKER, BDS, MPH, PhD

Can you describe the roles that students play in your research process?
Students are at the heart of our work. CCTR provides an immersive environment where undergraduate, pre-doc and postdoc dental students engage directly in research, from participant recruitment and data collection to laboratory assays and data analysis. Many students also co-author abstracts and manuscripts, present at local, national and international conferences, and gain valuable mentorship that helps launch their careers in academic or translational science. I find their curiosity and energy to be among the most rewarding aspects of my work.
What has been the biggest challenge in your career so far?
Balancing the demands of administrative leadership while maintaining and keeping scientific focus can be challenging. Building sustainable research infrastructure takes patience, persistence, and a great team. I have however learned to view challenges as opportunities to build systems that outlast individual projects, structures that make it easier for others, especially trainees, to succeed.
What advice would you give to a younger version of yourself if you were to restart your dental and research career?
Be curious, stay adaptable, maintain your integrity, and don’t be afraid of detours (they often lead to your most meaningful discoveries and an amalgamation of expertise). Invest in mentorship and collaboration early in your career, embrace change, and remember, science is a loooong game. The relationships you build and the questions you persistently pursue will define your impact far more than any single project, paper or grant.

M.S. in Oral Biology Candidate
HOW DID YOU GET INVOLVED WITH RESEARCH AT PDM?
I began research as part of the MOHS master’s program, which required a capstone project. That experience introduced me to research which I still do today
CAN YOU DESCRIBE YOUR RESEARCH?
My research focuses on the role of inflammation in the oral cavity. We study a bacterium closely associated with oral inflammatory disease to understand its virulence mechanisms and the host response, ultimately aiming to identify better therapeutic strategies.
WHAT MADE YOU DECIDE TO PARTICIPATE IN THE MASTERS IN ORAL BIOLOGY PROGRAM?
Exploring a different side of dentistry through research is what attracted me to the honors program. It’s rewarding to know that scientific discovery can improve patient care and community health. The scientific process have deepened my understanding of the biological basis of oral diseases.
DO YOU HAVE ANY FUTURE PLANS WITH YOUR RESEARCH?
Yes. I plan to stay actively involved in research, and to share my work with future dental students
WHAT DO YOU THINK IS THE MOST IMPORTANT QUALITY OF AN EFFECTIVE RESEARCHER?
Being teachable. The ability to listen, learn, and stay open to new ideas is essential for developing strong hypotheses and carrying out meaningful research.
FUN FACT?
French Fries are my favorite food.

“Overall, my career has been driven by a long-standing interest in understanding how cellular signaling pathways control bone homeostasis, with the goal of translating those insights into new therapies for skeletal diseases.”
SHUYING (SHERI) YANG, MD, MS, DMD

Can you tell us a little bit about yourself and your background before coming to Penn Dental?
I earned my Clinical Medicine (MD), Master’s, and Ph.D. degrees in China, where I built a strong background in Molecular Biology, Immunology and translational research. After that, I joined the University of Michigan School of Dental Medicine as a postdoctoral fellow. My research there focused on understanding the mechanisms of bone development and exploring stem cell and gene therapy strategies for bone repair and regeneration. I then moved to The Forsyth Institute and Harvard School of Dental Medicine, where I continued my postdoctoral training and later served as an instructor and tenure-track staff scientist. During that period, my research shifted toward studying the mechanisms of osteoclast biology and bone loss under aging and pathological conditions. I later joined the State University of New York at Buffalo as an Assistant Professor and was subsequently promoted to Associate Professor. At Buffalo, my lab has been investigating the role of primary cilia and RGS/G proteins in bone development and remodeling. These studies aim to uncover novel regulatory pathways and identify potential therapeutic targets for bone and other related diseases. My lab integrates mouse genetics, biochemistry, and bone biology to address fundamental questions in skeletal research. Our work has been published in high-impact journals such as Nature Communications, Genes & Development, Cell Discovery, Bone Research, eLife, and Cell Death & Differentiation. I have also been fortunate to receive recognition from the ASBMR, including Young Investigator and Most Outstanding Abstract Awards. Overall, my career has been driven by a long-standing interest in understanding how cellular signaling pathways control bone homeostasis, with the goal of translating those insights into new therapies for skeletal diseases.
My research program focuses on understanding how primary cilia, ciliary proteins, and Regulator of G protein signaling (RGS) protein pathways regulate craniofacial and skeletal metabolism and diseases such as arthritis, osteoporosis, diabetic fracture, and bone cancers. The overarching goal of my work is to uncover fundamental molecular mechanisms that can be translated into therapeutic strategies to improve skeletal and oral health. Currently, my lab pursues several active research directions. One focuses on how primary cilia proteins regulate bone and craniofacial development, as well as their roles in diabetic fracture healing. This work has been supported by NIH R01 funding. A second major area investigates the function of macrophage ciliary proteins and RGS proteins in periodontitis-induced osteolysis and inflammatory arthritis, where we discovered that RGS12 promotes inflammation while INPP5E exerts protective effects. This line of research has received approximately $6.7 million funding support from the DOD and NIH. Finally, we are exploring the interplay between RGS
proteins, YAP/TAZ, and primary cilia in oral and bone cancers, supported by a DOD grant. Overall, my lab integrates mouse genetics, molecular signaling, and nanomedicine to advance our understanding of bone biology and develop innovative therapeutic strategies for skeletal and oral diseases.
Can you describe the roles that students play in your research process?
Our students make meaningful contributions to our research projects. Most of dental students join the lab parttime after classes, and they’re incredibly smart, hardworking, and eager to learn. I involve them in all stages of a project— from shaping research questions and designing experiments to analyzing data and presenting results. Early on, they work closely with our senior DScD student and research trainees to build technical skills and confidence. Over time, they become more independent and even help mentor newer students. Since they are future dentists, I emphasize how our research connects to clinical practice, especially in bone biology and oral health, so they can appreciate the translational impact of their work. Their contributions are recognized through research day presentation, authorship on manuscripts, and their enthusiasm and teamwork truly strengthen our research.
What has been the biggest challenge in your career so
One of the biggest challenges in my career was transitioning from postdoctoral training to establishing my own independent lab while also balancing family responsibilities. At that time, I had a young child, so managing the demands of starting a new research program, mentoring students, writing grants, and caring for my family required a lot of discipline and resilience. It was also a period of defining my research direction and building a strong, funded program from the ground up. Although it was challenging, it taught me how to prioritize, lead effectively, and maintain perspective. That experience made me stronger both as a scientist and as a mentor, especially in supporting young researchers who face similar challenges.
What advice would you give to a younger version of yourself if you were to restart your dental and research career?
If I could give advice to my younger self, I would emphasize the importance of thinking critically, maintaining scientific rigor, and being careful in designing, observing and interpreting experiments. Even with excellent mentors
and supportive collaborators, success in research requires curiosity, motivation, thoughtful analysis, and careful attention to detail. I would also encourage myself to
“I
would also encourage myself to always stay positive, embrace challenges as opportunities to learn, and appreciate the guidance and support of mentors, colleagues, and collaborators, because science is truly a team effort.”
SHUYING (SHERI) YANG, MD, MS, DMD



“Penn Dental Medicine has many innovative research opportunities ranging from biomaterials, nanotechnology, to translational research. This environment provides an exceptional platform for me to be a researcher in addition to a clinician.”
QINYUAN (DORIS) CHEN, DMD
Can you tell us a bit about yourself and your background before coming to Penn Dental Medicine?
I completed my undergraduate studies at the University of North Carolina at Chapel Hill, where I majored in quantitative biology and minored in chemistry and statistics. I developed my interest in dentistry and research in undergrad. Then I earned my DMD from Penn Dental Medicine in 2025. I decided to pursue periodontics at the end of D1 year. Now I am a first-year resident in the Department of Periodontics at PDM.
I chose Penn Dental Medicine because it offers a combination of rich history, rigorous clinical education, and a wide variety of research opportunities. Penn Perio has been shaped by some of the most influential figures in the field — most notably Dr. Amsterdam, whose concepts in periodontal prosthesis transformed how we provide diagnosis and treatment. Clinically, the residency is very hands-on, with exposure to a diverse range of surgical procedures from the very beginning of the training. At the same time, Penn Dental Medicine has many innovative research opportunities ranging from biomaterials, nanotechnology, to translational research. This environment provides an exceptional platform for me to be a researcher in addition to a clinician.
you
Over the past few years, I have worked on developing hydroxyapatite-targeted lipid nanoparticles (HA-LNPs) to deliver siRNA therapeutics directly to mineralized tissues. Our goal is to use precision delivery system to control inflammation and regenerate lost tissues in periodontium. One specific pathway that I’ve worked on recently is STAT3, a key inflammatory pathway. We have shown that commercially available allogenic bone graft particulates can be loaded with HA-LNPs and transfect the adjacent gingival fibroblasts.

This delivery platform is very versatile, offering the potential to be tailored toward numerous other inflammatory or regenerative pathways that play critical roles in periodontal disease.
How did you get involved in Research at Penn Dental Medicine?
I expressed my interest in research to Dr. Sahingur who provided me a list of PIs who were looking for dental students to join their labs. Dr. Vining was a new PI at that time and offered me the opportunity to join his lab.
What has been the biggest challenge in your career/ research so far?
The biggest challenge has been finding the balance between being a clinician and a researcher. It’s challenging to bridge the two—using what I observe in the clinic to inspire research questions that are not only scientifically interesting but also truly feasible and clinically relevant. Yet, it is my passion to use research to drive innovation in patient care.
What advice would you give to a younger version of yourself if you were to restart your dental and research career?
I would tell my younger self not to worry about having everything figured out right away. Research requires time and patience, and it takes time to discover how clinical work and research can complement each other.

Samuel
Suslavich, D’28 Summer Research Student & M.S. in Oral Biology Candidate
HOW DID YOU GET INVOLVED WITH RESEARCH AT PDM?
I applied to participate in PDM’s Summer Research Program for the summer before the start of D1. I was fortunate enough to be given a place in Dr. Esra Sahingur’s lab, and I have been working in the lab ever since.
CAN YOU DESCRIBE YOUR RESEARCH?
Our lab studies periodontal disease with a focus on cellular senescence. Senescence is a key hallmark of cellular aging in which cells enter into an irreversible state of cell cycle arrest in response to a chronic stressor. Although senescent cells are no longer replicating in this state, they remain metabolically active and begin to release pro-inflammatory cytokines, chemokines, and matrix metalloproteinases through the senescence associated secretory phenotype (SASP). This pro-inflammatory activity can exacerbate inflammation in surrounding tissues, increase senescent cell burden, and contribute to periodontal pathogenesis. My research focuses on senotherapeutics, a new class of drugs which target SASP and selectively clear senescent cells. These drugs have shown promise as a strategy to treat periodontal disease and to improve periodontal health in aging patients.
WHAT MADE YOU DECIDE TO PARTICIPATE IN M.S. IN ORAL BIOLOGY?
I am interested in potentially pursuing a career in academic dentistry. The MSOB presents a unique opportunity to engage in particularly rigorous research while also helping students to develop the skills necessary for an academic career.
DO YOU HAVE ANY FUTURE PLANS WITH YOUR RESEARCH?
I plan to continue working in Dr. Sahingur’s lab through my D4 year, and I am currently working on my MSOB thesis project, which I expect to defend at the end of my D4 year.
WHAT DO YOU THINK IS THE MOST IMPORTANT QUALITY OF AN EFFECTIVE RESEARCHER?
Persistence!
FUN FACT?
I am a licensed pilot.

I became involved in research through the Honors in Basic and Translational Sciences (BTS) program, which I learned about during my interview. The program immediately stood out to me because of its emphasis on bridging scientific discovery and clinical application, which was something that deeply aligned with my academic interests.
After researching faculty profiles, I found my PI, Dr. Flavia Teles, whose work closely aligned with my interests in microbiology. I reached out via email to introduce myself, expressed my enthusiasm for her research, and requested a meeting to learn more about her work. Following the meeting, I shadowed and ultimately joined the lab, began learning essential experimental techniques, and later applied to the BTS program to formally integrate my research into my dental education. This process gave me a deep appreciation for how proactive engagement can open doors to research opportunities even as a dental student.
My current research explores the role of the oral microbiome as a potential carcinogenic link to oral squamous cell carcinoma (OSCC) in patients with Fanconi Anemia (FA). FA is a rare inherited disorder characterized by mutations that impair the body’s ability to repair damaged
DNA, leaving patients highly susceptible to cancers, particularly OSCC.
The central focus of my project is on acetaldehyde (ACH), a Class I carcinogen that is produced as a metabolic byproduct by certain microorganisms in the oral cavity. In healthy individuals, DNA repair mechanisms can often correct the damage caused by ACH exposure. However, in FA patients, the lack of functional DNA repair pathways allows this damage to accumulate, increasing cancer risk.
Our study aims to quantify the amount of ACH produced by common oral microorganisms, determine whether those levels induce DNA damage or cell death in both healthy and FA-associated cell lines, and compare these concentrations to those detected in patient saliva samples. By linking biochemical data with biological outcomes, we hope to better understand how the oral microbiome contributes to carcinogenesis in at-risk populations.
Ultimately, the goal is to identify whether certain microbial profiles or acetaldehyde concentrations could serve as noninvasive biomarkers for OSCC risk — information that could someday help clinicians monitor or even prevent cancer development in vulnerable patients.
I was drawn to the BTS Research Honors Program because of its structure, mentorship, and emphasis on studentled inquiry. The program provides a clear framework for developing and executing an independent project, while also offering valuable resources such as funding, access to advanced facilities, and guidance from experienced faculty mentors.
Dr. Teles also encouraged me to participate, noting that completing the BTS thesis would not only allow me to formally present
my research findings but also help me strengthen my ability to communicate scientific concepts. The culminating thesis presentation appealed to me as a tangible way to synthesize my work and reflect on my progress as both a researcher and future clinician.
Participating in BTS has given me a deeper appreciation for how foundational science informs evidence-based dentistry and ultimately improves patient outcomes.
I believe the most important quality of an effective researcher is resilience in problem-solving. Research rarely goes exactly as planned. What separates effective researchers is their ability to approach these setbacks with curiosity and persistence rather than frustration.
In graduate-level research, especially when dealing with novel or understudied topics, there are often few established protocols or existing literature to rely on. I’ve learned that progress often comes from moments of uncertainty when you’re forced to think creatively, seek new perspectives, or refine your methods.
Personally, I’ve had times when my experiments repeatedly failed. But through those moments, I’ve learned to analyze what went wrong, consult my PI and lab members, and keep experimenting. These experiences taught me that research is not just about producing data, but rather, it’s about cultivating patience, adaptability, and teamwork, all of which are essential qualities for meaningful scientific advancement.
According to my friends, I’m one of the biggest yappers at PDM. If there’s a conversation happening, I’m probably already in it.
ANGELINA GE, D’26
Ge AY, Saha AL, Niu J, Cadet TJ, France K. Adolescent receptiveness to dentist involvement in COVID-19 and HPV vaccination. Int J Adolesc Med Health. 2025 Dec 15;37(6):431439. doi: 10.1515/ijamh-2025-0145. PMID: 41385741.
MEGHAN HUNG, D’25
Rattanaprukskul K, Xia XJ, Hysa M, Jiang M, Hung M, Suslavich SF, Sahingur SE. Dasatinib and Quercetin Limit Gingival Senescence, Inflammation, and Bone Loss. J Dent Res. 2025 Apr;104(4):419-427. doi: 10.1177/00220345241299789. Epub 2025 Jan 10. PMID: 39797437; PMCID: PMC11909784.
WILLIAM KIM, D’29
Prasongyuenyong K, Kim WS, Chen Z, Ko KI. SingleCell Analysis of Fibroblast Subpopulations in Skin and Oral Mucosa. J Dent Res. 2025 Oct 22:220345251380210. doi: 10.1177/00220345251380210. Epub ahead of print. PMID: 41123093.
JANET LEE, D’26
Lee JJ, Niu M, Shakir Z, Hwang G, Chung CH, Wolff MS, Zheng Z, Li C. Usage of Silver Nanoparticles in Orthodontic Bonding Reagents. J Funct Biomater. 2025 Jul 3;16(7):244. doi: 10.3390/ jfb16070244. PMID: 40710458; PMCID: PMC12295521.
EMILY LUO, D’28
Shah R, Luo ED, Shaffer CA, Tabakha M, Tomov S, Minton SH, Brown MK, Palazzolo DL, Cuadra GA. Polarization of THP-1Derived Human M0 to M1 Macrophages Exposed to Flavored E-Liquids. Toxics. 2025 May 29;13(6):451. doi: 10.3390/ toxics13060451. PMID: 40559924; PMCID: PMC12197258.
NEDA MAHJOUR, D’25
Shah S, Veerabagu N, Essel NAA, Mahjour N, France K. The Dental Status of Patients Taking Common Biologic Agents: A Single-Center Cross-Sectional Study. Oral Dis. 2025 Aug;31(8):2641-2651. doi: 10.1111/odi.15311. Epub 2025 Mar 17. PMID: 40096650; PMCID: PMC12423481.
MEIGAN NIU, D’26
Lee JJ, Niu M, Shakir Z, Hwang G, Chung CH, Wolff MS, Zheng Z, Li C. Usage of Silver Nanoparticles in Orthodontic Bonding Reagents. J Funct Biomater. 2025 Jul 3;16(7):244. doi: 10.3390/ jfb16070244. PMID: 40710458; PMCID: PMC12295521.
AISHWARYA SAHA, D’26
Ge AY, Saha AL, Niu J, Cadet TJ, France K. Adolescent receptiveness to dentist involvement in COVID-19 and HPV vaccination. Int J Adolesc Med Health. 2025 Dec 15;37(6):431439. doi: 10.1515/ijamh-2025-0145. PMID: 41385741.
SHIVANI SHAH, D’26
Shah S, Veerabagu N, Essel NAA, Mahjour N, France K. The Dental Status of Patients Taking Common Biologic Agents: A Single-Center Cross-Sectional Study. Oral Dis. 2025 Aug;31(8):2641-2651. doi: 10.1111/odi.15311. Epub 2025 Mar 17. PMID: 40096650; PMCID: PMC12423481.
ZINAH SHAKIR, D’24
Lee JJ, Niu M, Shakir Z, Hwang G, Chung CH, Wolff MS, Zheng Z, Li C. Usage of Silver Nanoparticles in Orthodontic Bonding Reagents. J Funct Biomater. 2025 Jul 3;16(7):244. doi: 10.3390/ jfb16070244. PMID: 40710458; PMCID: PMC12295521.
SAMUEL SUSLAVICH, D’28
Rattanaprukskul K, Xia XJ, Hysa M, Jiang M, Hung M, Suslavich SF, Sahingur SE. Dasatinib and Quercetin Limit Gingival Senescence, Inflammation, and Bone Loss. J Dent Res. 2025 Apr;104(4):419-427. doi: 10.1177/00220345241299789. Epub 2025 Jan 10. PMID: 39797437; PMCID: PMC11909784.
NILA VEERABAGU, D’25
Shah S, Veerabagu N, Essel NAA, Mahjour N, France K. The Dental Status of Patients Taking Common Biologic Agents: A Single-Center Cross-Sectional Study. Oral Dis. 2025 Aug;31(8):2641-2651. doi: 10.1111/odi.15311. Epub 2025 Mar 17. PMID: 40096650; PMCID: PMC12423481.
SHUCHEN ZHANG, D’28
Lin Y, Makkar H, Zhang S, Chen B, Zhan C, Vining K. Mechanical cues orchestrate monocyte behavior in immune regulation and disease. APL Bioeng. 2025 Jun 27;9(2):021506. doi: 10.1063/5.0268234. PMID: 40584818; PMCID: PMC12205964.
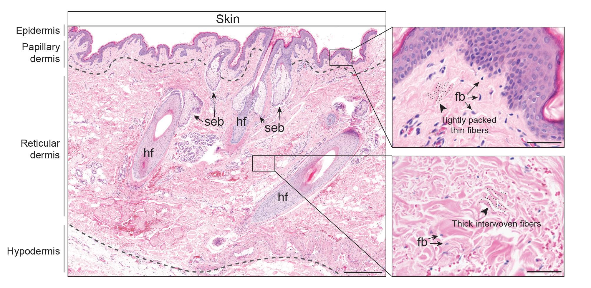
Top: Lin Y, Makkar H, Zhang S, Chen B, Zhan C, Vining K. Mechanical cues orchestrate monocyte behavior in immune regulation and disease. APL Bioeng. 2025 Jun 27;9(2):021506. doi: 10.1063/5.0268234. PMID: 40584818; PMCID: PMC12205964. Middle: Rattanaprukskul K, Xia XJ, Hysa M, Jiang M, Hung M, Suslavich SF, Sahingur SE. Dasatinib and Quercetin Limit Gingival Senescence, Inflammation, and Bone Loss. J Dent Res. 2025 Apr;104(4):419-427. doi: 10.1177/00220345241299789. Epub 2025 Jan 10. PMID: 39797437; PMCID: PMC11909784. Bottom: Prasongyuenyong K, Kim WS, Chen Z, Ko KI. Single-Cell Analysis of Fibroblast Subpopulations in Skin and Oral Mucosa. J Dent Res. 2025 Oct 22:220345251380210. doi: 10.1177/00220345251380210. Epub ahead of print. PMID: 41123093.
ADAM BOUHAMDAN, D’27
Impact Of BTO On Adhesion and Transcriptomics.
2025 AADOCR/CADR Annual Meeting & Exhibition, March 12-15, 2025. New York City, New York.
FACULTY ADVISOR: Geelsu Hwang
JOHN BUTTON, D’26
Do Opioids Truly Prevent Pain Following Bilateral Sinus Augmentation Procedures?
107th AAOMS Annual Meeting, Scientific Sessions and Exhibition, September 15-20, 2025. Washington DC.
DAYOON CHANG, D’27
Dissecting Elastic Mechanics in Oral Cancer Tumor Regulation.
2025 AADOCR/CADR Annual Meeting & Exhibition, March 12-15, 2025. New York City, New York.
FACULTY ADVISOR: Kyle Vining
QINYUAN (DORIS) CHEN, D’25
Hydroxyapatite-Targeted Delivery via Lipid Nanoparticles for Periodontal Diseases.
2025 AADOCR/CADR Annual Meeting & Exhibition, March 12-15, 2025. New York City, New York.
FACULTY ADVISOR: Kyle Vining
JULIA GERSTMAN, D’28
Do fiber type phenotypes change across development in the chewing muscles of Sapajus?
11th annual Northeastern Evolutionary Primatologists (NEEP) Meeting, November 7-8, 2025. Philadelphia, Pennsylvania.
FACULTY ADVISOR: Myra Laird
YAMINI GURUSWAMY, D’26
Proliferative Verrucous Leukoplakia. 2025 Greater New York Dental Meeting, November 28-December 3, 2025. New York City, New York.
FACULTY ADVISOR: Maya Ramachandran
MATTHEW HALPERT, D’27
Patient Attitudes on Dentists Administering HPV and HSV Vaccines.
2025 AADOCR/CADR Annual Meeting & Exhibition, March 12-15, 2025. New York City, New York.
FACULTY ADVISOR: Katherine France

JESSICA HAO, D’26
pH-Responsive ZIF-8 Precisely Induces Apoptosis of Oral Cancer Cells.
2025 AADOCR/CADR Annual Meeting & Exhibition, March 12-15, 2025. New York City, New York.
FACULTY ADVISOR: Chider Chen
JULIE HONG, D’26
Regulation of the Epithelial Barrier Function via E-Cadherin/β-catenin Complex.
2025 AADOCR/CADR Annual Meeting & Exhibition, March 12-15, 2025. New York City, New York.
FACULTY ADVISOR: Dana Graves
SHIVANI IYER, D’26
From Chairside to Childcare: A Study Protocol to Investigate Challenges Associated with Parenthood in the Dental Profession.
APHA 2026 Annual Meeting & Expo, November 2-5, 2025. Washington, DC.
FACULTY ADVISORS: Joan Gluch and Kari Hexem
MICHELLE JOUNG, D’26
Grain Growth and Improves Flexural Strength of Dental Zirconia.
2025 AADOCR/CADR Annual Meeting & Exhibition, March 12-15, 2025. New York City, New York.
FACULTY ADVISOR: Yu Zhang
YESUL ASHLEY KANG, D’27
Acetaldehyde-driven DNA Damage, Fanconi Anemia, And Oral Microbiome Carcinogenesis.
2025 AADOCR/CADR Annual Meeting & Exhibition, March 12-15, 2025. New York City, New York.
FACULTY ADVISOR: Flavia Teles
AJAY KUMAR, D’26
Oral Pro-Insulin Bio-Encapsulated in Plant Cells.
2025 AADOCR/CADR Annual Meeting & Exhibition, March 12-15, 2025. New York City, New York.
FACULTY ADVISOR: Henry Daniell
KATIE LAPINSKI, D’27
11th annual Northeastern Evolutionary Primatologists (NEEP) Meeting, November 7-8, 2025. Philadelphia, Pennsylvania.
REGINA LEKUMOVICH, D’26
Adiponectin+ Cells Regulates Bone Turnover and Homeostasis.
2025 AADOCR/CADR Annual Meeting & Exhibition, March 12-15, 2025. New York City, New York.
FACULTY ADVISOR: Chider Chen
ELISA LIPKIN, D’27
Sex-Dependent Effects of Gut Microbial Metabolites in Acute Dental Pain.
2025 AADOCR/CADR Annual Meeting & Exhibition, March 12-15, 2025. New York City, New York.
FACULTY ADVISOR: Katherine Theken
PEYTON MACCARONE, D’26
Stability of Le Fort III Distraction Osteogenesis in Syndromic Craniosynostosis.
2025 AADOCR/CADR Annual Meeting & Exhibition, March 12-15, 2025. New York City, New York.
FACULTY ADVISOR: HyunDuck Nah-Cederquist 2025 Pennsylvania Dental Meeting, April 25-26, 2025. Malvern, Pennsylvania.
FACULTY ADVISOR: HyunDuck Nah-Cederquist
CHRISTIAN MASTROIANNI, D’27
Predicting Voluntary Bite Force from Craniofacial Morphology.
2025 AADOCR/CADR Annual Meeting & Exhibition, March 12-15, 2025. New York City, New York.
11th annual Northeastern Evolutionary Primatologists (NEEP) Meeting, November 7-8, 2025. Philadelphia, Pennsylvania.
FACULTY ADVISOR: Myra Laird
SRIGHANA NADELLA, GD’25
Effect of Infectious Disease Consultations on Antibiotic Duration in Surgically-Managed MRONJ.
2025 AADOCR/CADR Annual Meeting & Exhibition, March 12-15, 2025. New York City, New York.
FACULTY ADVISORS: Neeraj Panchal and Katherine Theken
STEPHANIE MOGA, D’27
CFAR Social and Behavioral Sciences Research Network Meeting, February 2628, 2025. Philadelphia, Pennsylvania.
FACULTY ADVISOR: Temitope Omolehinwa
MEIGAN NIU, D’26
Assessment of Parent Knowledge of Human Papillomavirus (HPV) Infection and Vaccination.
2025 AADOCR/CADR Annual Meeting & Exhibition, March 12-15, 2025. New York City, New York.
FACULTY ADVISOR: Katherine France
MARY PAPANDREAS, D’26
When Did “I Don’t Know” Become a Diagnosis?
2025 AADOCR/CADR Annual Meeting & Exhibition, March 12-15, 2025. New York City, New York.
FACULTY ADVISORS: Michael Glick and Alonso Carrasco-Labra
KYUNGJOON PARK, GD’25
Aging Effects on Mesenchymal Stem Cell Responses to Mechanical Force.
2025 AADOCR/CADR Annual Meeting & Exhibition, March 12-15, 2025. New York City, New York.
FACULTY ADVISOR: Helen Jeon
SARANIYA RAJARAM, D’27
A Rare Case of Non-syndromic Mandibulofacial Dysostosis.
2025 Greater New York Dental Meeting, November 28-December 3, 2025. New York City, New York.
DIMITRA SCHWEITZER, D’26
An Adolescents’ Perspectives on Dentists as COVID-19 and HPV Vaccinators.
2025 Greater New York Dental Meeting, November 28-December 3, 2025. New York City, New York.
FACULTY ADVISOR: Katherine France
EMON SHAAF, D’26
Investigation of Ferroptotic Cell Death Mechanism in Human Periodontitis.
2025 AADOCR/CADR Annual Meeting & Exhibition, March 12-15, 2025. New York City, New York.
FACULTY ADVISOR: Kang Ko
ANISHA SHAH, D’26
Investigating the Effect of Fungal – Derived β-Glucan On Trained Osteoclastogenesis.
2025 AADOCR/CADR Annual Meeting & Exhibition, March 12-15, 2025. New York City, New York.
FACULTY ADVISOR: George Hajishengallis
JASMINE SHOKRI, D’27
Patient Knowledge and Perception on Dentists’ Role in HPV Vaccination.
2025 AADOCR/CADR Annual Meeting & Exhibition, March 12-15, 2025. New York City, New York.
FACULTY ADVISOR: Katherine France
TUCKER SPRAYBERRY, D’27
Simulating the Effects of Nocturnal Bruxism On Clear Aligners.
2025 AADOCR/CADR Annual Meeting & Exhibition, March 12-15, 2025. New York City, New York.
FACULTY ADVISOR: Myra Laird
SAMUEL SUSLAVICH, D’28
Dasatinib and Quercetin Limit Gingival Senescence, Inflammation, and Bone Loss.
2025 AADOCR/CADR Annual
Meeting & Exhibition, March 12-15, 2025. New York City, New York.
Dasatinib and Quercetin Intervention Mitigates Gingival Senescence and Inflammation.
2025 Greater New York Dental Meeting, November 28-December 3, 2025. New York City, New York.
FACULTY ADVISOR: Sinem Esra Sahingur
KEVIN TAO, D’26
A Customizable 3D Printed Platform for Dynamic Oral Biofilm Characterization.
2025 AADOCR/CADR Annual Meeting & Exhibition, March 12-15, 2025. New York City, New York.
FACULTY ADVISOR: Geelsu Hwang
MICHAEL TROKA, D’26
Learning Model for ScRNAseq CellCell Communication Discovery.
2025 AADOCR/CADR Annual Meeting & Exhibition, March 12-15, 2025. New York City, New York.
FACULTY ADVISOR: Dana Graves
WINSLOW WANGLEE, D’27
Bone Marrow Adipocytes Regulate Osteoclastogenesis via Cxcl12-Cxcr4 Signaling.
2025 AADOCR/CADR Annual Meeting & Exhibition, March 12-15, 2025. New York City, New York.
FACULTY ADVISOR: Chider Chen
JESSICA WINARTO, D’26
Metformin and Melatonin Synergistically Induced Cell Death in OSCC.
2025 AADOCR/CADR Annual Meeting & Exhibition, March 12-15, 2025. New York City, New York.
FACULTY ADVISOR: Qunzhou Zhang
YOU (GRACE) WU, D’28
Investigating the Role of FoxO1 in Osteogenesis under Type 2 Diabetes (T2DM).
2025 Greater New York Dental Meeting, November 28-December 3, 2025. New York City, New York.
FACULTY ADVISOR: Shuying Yang.
JONATHAN ZHOU, D’26
Examining The Role Of Immunoregulatory Oral Fibroblasts In Experimental Periodontitis.
2025 AADOCR/CADR Annual Meeting & Exhibition, March 12-15, 2025. New York City, New York.
FACULTY ADVISOR: Kang Ko

Zhaoxu
Chen, D’27
“Truthfully, I believe that understanding the science behind the procedures we perform and the materials we use is crucial for making sound clinical decisions.”
ZHAOXU CHEN, D’27
HOW DID YOU GET INVOLVED WITH RESEARCH AT PDM?
I actually started my research here at PDM before I became a student here. I started working with Dr. Ko during my gap year. I knew I wanted to be a dentist, but research related to dentistry outside of dental school is rare and far in between. I reached out to Dr. Ko to ask about joining his research, and that’s how I got started.
CAN YOU DESCRIBE YOUR RESEARCH?
My work with Dr. Ko mainly focuses on fibroblasts and their role in wound healing. I can go on forever but, long story short, we now know that fibroblasts are not the boring ECM-secreting cell we once thought they were, they actually have many functions and behave differently across various tissue types and organs. We are studying the unique properties of fibroblasts in the oral cavity that help facilitate its heightened healing capacity.
It’s definitely the mentorship that I receive from my faculty mentor. The program allows me to work more closely with Dr. Ko and gives me the opportunity to spend more time doing research while working toward a tangible goal. It also helps that the program holds me accountable, because when school gets busy, there is always an excuse to skip out on going to the lab.
I enjoy doing research a lot. Truthfully, I believe that understanding the science behind the procedures we perform and the materials we use is crucial for making sound clinical decisions. I do see myself continuing to participate in dental research. However, I can imagine that the time constraints of being a practitioner will likely limit my research to clinical case studies. I will definitely miss the time I’ve spent in the wet lab.
WHAT DO YOU THINK IS THE MOST IMPORTANT QUALITY OF AN EFFECTIVE RESEARCHER?
Grit. I’m not saying that critical thinking or integrity or cooperation does not matter, research is difficult, and many factors play into how effective a researcher is. But to me, grit or perseverance is one of the most important qualities. Research ideas rarely work the first time around. I would wager most of my time doing research is spent troubleshooting. It’s important to not give up when things don’t go the way you want it to go the first time around. Having the grit to keep tackling the hard problems even when few people believe in you is what allows us to push boundaries and uncover meaningful results.
A lot of my friends already know this, but instead of drinking coffee or energy drinks, I take caffeine pills. They work well, have no calories, and are not cariogenic.