Gaceta Dental - 359

Page 1

Núm. 359 Septiembre 2023 | 6,50€ gacetadental.com

ESPECIAL FORMACIÓN

• Nueva edición de la Guía de formación GD

• Entrevista con el Dr. Lluís Giner

• Radiografía del emprendimiento en el sector

Implantes cortos y extracortos Rehabilitación del maxilar posterior atrófico con baja densidad ósea

Dra. Inmaculada Tomás

«Es posible liderar y hacer una investigación traslacional de alta calidad en Odontología»

Gestión clínica

Análisis de la disciplina por uno de sus grandes referentes, Marcial Hernández

Núm. 359 Septiembre 2023 | 6,50€ gacetadental.com

ESPECIAL FORMACIÓN

• Nueva edición de la Guía de formación GD

• Entrevista con el Dr. Lluís Giner

• Radiografía del emprendimiento en el sector

Implantes cortos y extracortos Rehabilitación del maxilar posterior atrófico con baja densidad ósea

Dra. Inmaculada Tomás

«Es posible liderar y hacer una investigación traslacional de alta calidad en Odontología»

Gestión clínica

Análisis de la disciplina por uno de sus grandes referentes, Marcial Hernández

Instituto de Ortodoncia Ortocervera Grupo CEOSA 70 años dando soluciones de Ortodoncia • Presentación y seguimiento de casos. • Práctica de cementado con pacientes. • Estancia clínica. PRÁCTICAS CON PACIENTES Telf. 91 554 10 29 www.ortocervera.com 21-22-23 Marzo 2024 97ª EDICIÓN NUEVA CONVOCATORIA PLAZAS AGOTADAS 96ª EDICIÓN - SEPTIEMBRE 2023 EXPERTO EN ORTODONCIA FUNCIONAL, APARATOLOGÍA FIJA Y ALINEADORES Dr. Alberto Cervera Sabater Dra. Isabel Cervera del Río Dra. Mónica Simón Pardell
de 1 año
Postgrado

E-max CAD sobre implante

E-max CAD sobre diente natural

E-max CAD sobre diente natural

E-max CAD sobre implante

E-max CAD sobre implante

E-max CAD técnica “Cut-back”

E-max

E-max CAD técnica “Cut-back”

E-max CAD “Monolítico”

E-max CAD “Monolítico”

le ofrece:

innovador Disilicato de Litio (LS2) del sistema de cerámica

le ofrece:

le ofrece:

IPS e.max CAD no solo ofrece una altísima estética que también es de 2,5 a 3 veces más resistente 360 que el resto de cerámicas de vidrio. Por ello, este material cubre todos los requerimientos estéticos y también representa una alternativa eficiente a las restauraciones unitarias ZrO2. (Zirconio)

El innovador Disilicato de Litio (LS2) del sistema de cerámica vítrea IPS e.max CAD no solo ofece una altísima estética sino que también es de 2,5 a 3 veces más resistente 360 MPa que el resto de cerámicas de vidrio. Por ello, este material cubre todos los requerimientos estéticos y también representa una alternativa eficiente a las restauraciones unitarias de Zr02 (Zirconio).

El innovador Disilicato de Litio (LS2) del sistema de cerámica vítrea IPS e.max CAD no solo ofrece una altísima estética sino que también es de 2,5 a 3 veces más resistente 360 MPa que el resto de cerámicas de vidrio. Por ello, este material cubre todos los requerimientos estéticos y también representa una alternativa eficiente a las restauraciones unitarias de ZrO2. (Zirconio)

IPS e.max está avalado por la experiencia clínica que ha demostrado durante años, tanto en estética como en resistencia. La amplitud de elección del material, según el caso, en conjunción con la técnica empleada en nuestro laboratorio dotarán a los trabajos de la mayor estética para sus pacientes.

IPS e.max está avalado por la experiencia clínica que ha demostrado durante años, tanto en estética como en resistencia. La amplitud de elección del material, según el caso, en conjunción con la técnica empleada en nuestro laboratorio dotarán a los trabajos de la mayor estética para sus pacientes.

IPS e.max está avalado por la experiencia clínica que ha demostrado durante años, tanto en estética como en resistencia. La amplitud de elección del material, según el caso, en conjunción con la técnica empleada en nuestro laboratorio dotarán a los trabajos de la mayor estética para sus pacientes.

CAD técnica “Cut-back”
Pre Pre Pre Pre ®
E-max CAD “Monolítico”
Pre Pre Pre Pre
Pre Pre Pre Pre ®

Núm. 359 Septiembre 2023 | 6,50€ gacetadental.com

El dentista de mi madre

Lunes 21 de agosto. Hoy, me advierte la Agencia Estatal de Meteorología, que se alcanzarán los 39º en mi pueblo de adopción, desde donde tecleo cuando no voy a la oficina. ¡Vaya veranito! Temperaturas al alza, alcanzando récords históricos; incendios devastadores a uno y otro lado del mundo, lluvias torrenciales, inundaciones… Sí, señores, parece que esto del cambio climático no es para tomárselo a guasa. Afortunadamente, el concepto de sostenibilidad, cada vez, suena más en el sector dental y me aventuro a decir que mucho más lo hará en el futuro más cercano.

En una de mis frecuentes visitas a casa este verano -Segovia para mí es casa-, mi madre me pidió que la llevara y acompañara a su revisión periódica al dentista. Y para allá que nos fuimos.

ESPECIAL FORMACIÓN

• Nueva edición de la Guía de formación GD

• Entrevista con el Dr. Lluís Giner

• Radiografía del emprendimiento en el sector

Implantes cortos y extracortos

Rehabilitación del maxilar posterior atrófico con baja densidad ósea

Volviendo a mi verano, mis días a remojo en mi querida Mallorca también han sido de órdago. El cóctel de altas temperaturas y humedad para los que somos de secano es difícil de digerir. Pero es que la cosa en mi Segovia natal no os creáis que ha cambiado mucho. La «rebequita», antaño tan necesaria en las noches castellanas, espera con ansia el otoño para ser rescatada del fondo del armario (bueno, vale, me ha salido la vena andaluza, que alguna que otra noche o mañanita madrugadora sí ha salido de paseo).

Mientras su dentista examinaba su salud oral, busqué refugio en el aire acondicionado de la sala de espera. Un amplio espacio con las paredes completamente vestidas de los títulos del equipo clínico. Y cuando digo completamente, esta vez sí que no exagero. Desde las orlas universitarias a los títulos de cursos de especialización de los campos más diversos lucían en la sala. Quizás a ojos de los pacientes, esto pueda pasar casi desapercibido, pero no para mí.

Dra. Inmaculada Tomás

«Es posible liderar y hacer una investigación traslacional de alta calidad en Odontología»

Gestión clínica

Me llevó, irremediablemente, a pensar en nuestra Guía de formación, cuya nueva edición verá la luz en los próximos días, y que intenta ayudar a los muchos profesionales del sector dental que apuestan por mejorar su cualificación para ofrecer el mejor tratamiento posible a sus pacientes. Tal como hace, por suerte, el dentista de mi madre.

Análisis de la disciplina por uno de sus grandes referentes, Marcial Hernández

Gaceta Dental · N o 359 | Septiembre 2023
El dentista de mi madre.
Carta abierta

Índice de anunciantes

Gaceta Dental · N o 359 | Septiembre 2023 4
DE ANUNCIANTES.
ÍNDICE
Gaceta Dental 359
AGUILERA DENTAL 87 AIO 139 ALIGN - INVISALIGN 153 ÁVILA MAÑAS Int. Po rtada BIOINNOVACIÓN DENTAL 85 BTI 9 BUKORENT 101 y 111 CEPUME Encar te y 181 COLEGIO PROTÉSICOS DE LA COMUNIDAD DE MADRID 165 DENTALDIGIDENT 11 EL BOSQUE CLÍNICA DENTAL 47 EURONDA 78-79 EXPADENT 107 GECKO 43 HEKA DENTAL 83 HENRY SCHEIN 51 I2 IMPLANTOLOGíA 61 IDEOD 135 IVOCLAR Int. C ontraportada LÁSER ODONTOLÓGICO ACADEMY 146-147 MANUEL ROMÁN ACADEMY Encar te MIGLIONICO 37 NSK Despl . Contraportada ORTOCERVERA Solapa Portada ORTOPLUS 5 OSSTEM 95 RADHEX Contraportada RD EXPRESS 99 RENFERT 141 RHEIN 83 155 RIL 121 RUMAR 7 y 123 SDI 163 SEI 179 SEPA 187 SIMPLE RAPID 102 y 103 SINEDENT 71 SMART IMPLANT SOLUTIONS 166-1 67 y 169 STERICYCLE 161 TODO CADCAM 159 ULTRADENT 156-157 UIRMI FUNDACIÓN ANITUA 25 VITA 145 VOCO 150-151 VP20 119 ZIACOM 53 ENCARTES ACADEN GARRISON SANHIGIA ULTRADENT

Férula de Descarga Digital de Nylon

Tecnología CAD/CAM para una óptima precisión y adaptación de la férula

atm.ortoplus.es

Fabricada en Poliamida 12 con certificado en biocompatibilidad Clase IIa

Ligera, cómoda y con una alta resistencia al desgaste y a las fuerzas de la boca

(+34) 952 212 174info@ortoplus.eswww.ortoplus.es

Barcelona

26 y 27 de octubre de 2023

Dr. Eduardo Vázquez

La primera Férula de Descarga para tratar a pacientes con bruxismo y problemas de la ATM utilizando la tecnología más avanzada en impresión 3D. Escanea el código QR para descargar el catálogo completo
Craneomandibular y
Curso de Disfunción
Dolor Orofacial para odontólogos
academy.ortoplus.es Reserva tu plaza

–Implantes de 4,5 mm de longitud en sectores posteriores del maxilar superior con baja densidad ósea. Estudio retrospectivo, por el Dr. Eduardo Anitua. [20]

–Caso clínico complejo tratado con ortodoncia invisible, por la Dra. Marta Cuadra. [32]

Informe

Flujo digital en prótesis completa, por el Dr. Fernando Gérman.

6 Gaceta Dental · N o 359 | Septiembre 2023 SUMARIO SUMARIO Carta abierta Digital al día Protocolo Di2gitalArch® 2.0 en fracaso de rehabilitación sobre diente natural, por
Dr. Luis Cuadrado Canals.
el
3 20 Ciencia y clínica 48
« El dentista de mi madre», por Gema Bonache.
62

19 años al servicio de distribuidores y servicios técnicos dentales

Motor ENDO TERAUCHI BLACK EDITION

Modos:

Inversión de Torque Adaptativo y ... , especialmente diseñado por el doctor Yoshi Terauchi, para el paso de escalones / ledges.

sistemas de limas

10 programas personalizables Localizador de ápices incorporado

PVP: 1.280,00€*

GARANTÍA: 2 AÑOS

*IVA/IGIC no incluido

Ai-Motor TODO

lo que un endodoncista busca en un motor endo.

NUEVA y ÚNICA

cabeza de contra ángulo con movimiento rotatorio y vertical

CA161 RR

+ Info

COMPATIBLE con motores

ENDO: + Info

¡Siempre en stock, entrega en 24 horas!

Pregúntanos por tu distribuidor o servicio técnico más cercano

IMPORTADOR MAYORISTA
PARA LA PENÍNSULA IBÉRICA
www.rumarcedeira.com | rumarcedeira@rumarcedeira.com Teléfono: 91 849 01 04 | WhatsApp: 683 157 441

Especial formación

-Gaceta Dental lanza la nueva Guía de formación 20232024. [90]

-Entrevista al Dr. Lluís Giner, presidente de la Conferencia de Decanos de las Facultades de Odontología de España. [92]

-A fondo: Emprendimiento en Odontología, ¿por dónde empezar? [104]

Congresos

-Congreso SEPES Valencia 2023. [172]

-XXVIII Congreso Anual ACADEN. [174]

-XXXIII Congreso Nacional y XXVI Internacional SEI. [176]

172

-Entrevista a Marcial Hernández, experto en Gestión Dental. [112]

Protagonistas

Dra. Inmaculada Tomás Académica de Número de la Academia de Ciencias Odontológicas de España. [72]

Dr. José Ramón Molinos Granada Medalla de Oro al Mérito Científico del COEM. [80]

Tendencias

-«Diferénciate: aprovecha el potencial de Youtube para tu clínica dental», por Javier Rioja. [120]

-«Quiero digitalizar mi clínica dental: ¿qué dispositivos necesito? Transformación digital (II)», por el Dr. Giuliano Fragola. [124]

-«Tecnología para mejorar la gestión de personas en las clínicas dentales», por Sofía Solano Mendoza. [131]

8 Gaceta Dental · N o 359 | Septiembre 2023 SUMARIO 72
90 112

La mejor elección para la prevención de la periimmplantitis, gracias al hermetismo, un sellado biológico con mejor vascularización y a su simplicidad protésica.

UNA SOLUCIÓN ÚNICA PARA TODAS TUS NECESIDADES

Aumenta la rentabilidad de tu consulta utilizando la solución de implantes BTI CORE®. Su plataforma protésica unificada permite reducir sensiblemente tu inversión en componentes protésicos, minimizando errores en el proceso restaurativo y posibilitando un protocolo más rápido y sencillo.

Flexibilidad sin prededentes

6 diámetros de implantes / 9 longitudes desde 4,5 mm.

¿QUIERES DESCUBRIR MÁS VENTAJAS?

BTI Biotechnology Institute Tel: (+34) 945 140 024 | bti-biotechnologyinstitute.es Escanea el código QR
Bioblock® IMPLANTE BTI CORE ®

Gema Bonache gbonache@gacetadental.com

PUBLICIDAD Ana Santamaría ana@gacetadental.com

Marta Pérez marta@gacetadental.com

Manuela Bino i mbinotti@gacetadental.com

DIRECTORA DE ADMINISTRACIÓN

Anabel Lobato

HEAD OF DESIGN

Juan Luis Cachadiña

COPYWRITERS

Sandra Rodríguez srodriguez@gacetadental.com

Tamara Cazorla tamarac@gacetadental.com

REDACTORA

Patricia Merino pmerino@gacetadental.com

TIENDA GD

Francisco Soriano paco@gacetadental.com

Jorge Cacuango jorge@gacetadental.com

JEFE DE PRODUCCIÓN

Miguel Fariñas

SUSCRIPCIONES Y DISTRIBUCIÓN

Remedios García

Laura López suscripciones@peldano.com

902 35 40 45

OFICINAS Y REDACCIÓN

Avda. Manzanares, 196 28026 Madrid

91 476 80 00

CONSEJO DE INNOVACIÓN Y EXCELENCIA

DISEÑO Y MAQUETACIÓN

Débora Martín Cristina Corchuelo

IMPRIME mccgraphics

Txirrita-Maleo Biribil, 11 20100 Errenteria, Gipuzkoa

EN LAS REDES!

SOCIAL MEDIA

Marina Hernández mdhernandez@peldano.com

DEPÓSITO LEGAL

M.35.236-1989

ISSN

1135-2949

CIENCIA Y CLÍNICA: Dr. José Aranguren, Dra. Estefanía Laguna, Dr. Juan López-Quiles, Dra. Estefanía Moreno, Dr. Jesús Peláez Rico, Dr. Luis Segura-Mori · FORMACIÓN Y CONOCIMIENTO: Dr.Juan Carlos Vara, Dra. María José Muñoz, Dr. Simón Pardiñas · TECNOLOGÍA E INNOVACIÓN: Dr. Luis Cuadrado de Vicente, Dra. Irene García

INTERNACIONAL: Dr. Joao Caramés, Dr. Cristian Abad

Presidente: Ignacio Rojas · Director Financiero y de Talento: Daniel R. Villarraso · Director de Eventos: David Rodríguez · Director de Marca y Estrategia: Eneko Rojas · Director de Estrategia de Contenidos: Adrián Beloki · Directora de Estrategia Digital Comercial: María Rojas · Chief Digital O icer: Pau Colás

Los artículos científicos y clínicos que se publican en Gaceta Dental son supervisados por un grupo de expertos en las distintas ramas de la Odontología. Gaceta Dental no se identifica necesariamente con las opiniones expresadas libremente en sus páginas por los colaboradores.

Publicación autorizada por el Ministerio de Sanidad como soporte válido. Ref: S.V 89057 R. Premio aeepp a la mejor revista de 2008 | 1er Accesit al Mejor Editor, años 2004 y 2007 | Premio «Pro-Odontología» de la Sociedad Catalana de Odontología y Estomatología (scoe) 2009 | Premio «Fomento de la Salud» del Consejo General, 2005 | Premio del Colegio de Protésicos de la Comunidad de Madrid a la Trayectoria Profesional 2009 | Insignia de oro Colegial del COEM 2013.

AVISO LEGAL Y TRATAMIENTO DE DATOS

La opinión de los artículos publicados no es compartida necesariamente por la revista, y la responsabilidad de los mismos recae, exclusivamente, sobre sus autores. Cualquier forma de reproducción, distribución, comunicación pública o transformación de esta obra solo puede ser realizada con la autorización de sus titulares, salvo excepción prevista por la ley, y en el caso de hacer referencia a dicha fuente, deberá a tal fin ser mencionada GACETA

DENTAL editada por Peldaño, en reconocimiento de los derechos regulados en la Ley de Propiedad Intelectual vigente, que como editor de la presente publicación impresa le asisten. Los archivos no deben modificarse de ninguna manera. Diríjase a CEDRO (Centro Español de Derechos Reprográficos) si necesita fotocopiar o escanear algún fragmento de esta obra (www.conlicencia.com / 917 021 970 / 932 720 445).

De conformidad con lo dispuesto en el Reglamento (UE) 2016/679 del Parlamento Europeo y del Consejo, de 27 de abril de 2016, relativo a la protección de las personas físicas en lo que respecta al tratamiento de datos personales y a la libre circulación de estos datos y por el que se deroga la Directiva 95/46/CE, y de conformidad con la legislación nacional aplicable en materia de protección de datos, le recordamos que sus datos están incorporados en la base de datos de PELDAÑO MEDIA GROUP, S. L., como Responsable de Tratamiento de los mismos, y que serán tratados en observancia de las obligaciones y medidas de seguridad requeridas, con la finalidad de gestionar los envíos en formato papel y/o digital de la revista, de información sobre novedades y productos relacionados con el sector, así como poder trasladarle, a través nuestro o de otras entidades, publicidad y ofertas que pudieran ser de su interés, de conformidad con el consentimiento prestado al solicitar su suscripción expresa y voluntaria a la misma, cuya renovación podrá ser requerida por Ediciones Peldaño en cumplimiento del citado Reglamento. Le informamos que podrá revocar dicho consentimiento, en cualquier momento y en ejercicio legítimo de los derechos de acceso, rectificación, cancelación, oposición, portabilidad y olvido, dirigiéndose a PELDAÑO MEDIA GROUP, S. L., Avda. Manzanares, 196. 28026 Madrid, o al correo electrónico distribucion@peldano.com.

Gaceta Dental · N o 359 | Septiembre 2023 10 STAFF
ESPECIAL FORMACIÓN Entrevista con el Dr. Lluís Giner Implantes cortos y extracortos investigación traslacional de alta calidad en Odontología» Gestión clínica SUSCRIPCIÓN
AÑO SUSCRIPCIÓN 2 AÑOS 50€ 87€ 124€ España Europa Resto 87€ 152€ 194€ España Europa Resto EDITA Peldaño
1
DIRECTORA
GACETADENTAL.COM ACCEDE A LOS DATOS DE SUSCRIPCIÓN
Foto: Dra. María Jesús Segovia
¡SÍGUENOS

Qué leer

DR. EDGAR ROMERO

«Ácido Hialurónico en Odontología, Rehabilitación Oral y Armonización Orofacial. Protocolo Romero»

¿Se ha convertido el ácido hialurónico en una opción imprescindible de ofertar en las clínicas? ¿Qué futuro tiene este tipo de tratamientos? El Dr. Edgar Romero nos presenta «Ácido Hialurónico en Odontología, Rehabilitación Oral y Armonización Orofacial. Protocolo Romero», una obra para dar a conocer a la comunidad odontológica general, las grandes ventajas que puede tener el ácido hialurónico en Odontología.

Más allá de los aspectos estéticos, el ácido hialurónico en Odontología tiene multitud de aplicaciones terapéuticas. Puede ser una herramienta valiosa para el tratamiento de enfermedades periodontales, cicatrización de heridas y úlceras, mejora de la calidad del tejido gingival y puede ayudar a mejorar la integración de los implantes dentales. Prácticamente todas las especialidades odontológicas pueden beneficiarse de esta sustancia, sin embargo, no existía un protocolo puramente odontológico sobre el uso del ácido hialurónico, a excepción del que nos propone el Dr. Edgar Romero en su nueva publicación « Ácido Hialurónico en Odontología, Rehabilitación Oral y Armonización

Orofacial . Protocolo Romero », basada en las formaciones que desarrolla el Dr. Romero desde hace dos décadas en Romero Academy.

—¿Por qué decidió escribir una obra dedicada al ácido hialurónico aplicado a la Odontología? —Son varios los motivos por los que he escrito este libro. El primero de todos es por los alumnos que realizan nuestras formaciones sobre ácido hialurónico. De este modo, les damos un soporte no solo escrito, sino visual de las formaciones que realizamos, ya que hemos desarrollado un protocolo que no se ve reflejado en otros libros. La nueva publicación es un resumen de los últimos 20 años de lo que es Odontología como tal y sus distintas especialidades, que las hemos combinado con los procedimientos iniciales de

12 Gaceta Dental · N o 359 | Septiembre 2023
QUÉ LEER. Dr. Egdar Romero

Medicina Estética relativos al ácido hialurónico. El segundo motivo por el que escribir este libro ha sido el dar a conocer a la comunidad odontológica general las grandes ventajas que puede tener el ácido hialurónico en Odontología. Nosotros llevamos 18 años impartiendo esta formación y, en este tiempo, nos hemos dado cuenta de que el ácido hialurónico puede tener distintos usos y aplicaciones en la Odontología. Lo que hemos hecho es combinar todas las especialidades odontológicas con el ácido hialurónico para tratar de resolver las necesidades que teníamos en cada especialidad.

La tercera motivación de este libro es que se conozca en general los distintos tipos de usos, no solo extraoral o estético facial (de lo que es simplemente armonización orofacial), sino también utilizándolo de forma intraoral, que es justamente de lo que se habla en el libro.

—¿A quién va dirigida esta publicación?

—Está dirigida no solamente a los estudiantes del grado de Odontología, sino también para todo odontólogo, independientemente de la especialidad que tenga (ortodoncista, implantólogo, especialista en Periodoncia, Prótesis e implantes, etc.), que podría utilizar el ácido hialurónico en su práctica diaria.

También puede ser muy valioso para médicos, a los que también impartimos muchas formaciones, para que conozcan los procedimientos que puede desarrollar el odontólogo.

En el libro hemos separado los procedimientos médico-estéticos de lo que es puramente Odontología, con el uso del ácido hialurónico específicamente aplicado en el tercio facial

ÁCIDO HIALURÓNICO EN ODONTOLOGÍA, REHABILITACIÓN ORAL Y ARMONIZACIÓN OROFACIAL. PROTOCOLO ROMERO

Seguir un protocolo sistemático en el uso del ácido hialurónico inspira seguridad en el odontólogo, ya que permite realizar estas técnicas de forma predecible y sin complicaciones.

Si quieres aprender a manejar de manera segura y con resultados predecibles, la nueva publicación del Dr. Edgar Romero te resultará de gran ayuda.

Esta obra recién publicada tiene un descuento del 10% durante este primer mes en nuestra Tienda Gaceta Dental. ¡No dejes escapar esta oportunidad!

Ficha técnica:

Título: «Ácido Hialurónico en Odontología, Rehabilitación Oral y Armonización Orofacial. Protocolo Romero».

Autor: Dr. Edgar Romero.

Páginas: 360.

Tamaño: 22 × 28 × 3 cm.

13 Gaceta Dental · N o 359 | Septiembre 2023
«La nueva publicación es un resumen de los últimos 20 años de lo que es Odontología como tal y sus distintas especialidades»
Dr. Edgar Romero. QUÉ LEER

Organiza:

Impulsa:

Tenemos un libro para cada profesional dental

tienda.gacetadental.com y elige: ¿cuál es el tuyo?

¡Accede a la tienda!

inferior. Por eso, los protocolos que aquí exponemos son muy diferentes a los médicoestéticos ya existentes.

—¿Por qué es un libro único e indispensable?

—Lo que le hace diferente, al igual que ocurre con nuestras formaciones, es que hemos creado un protocolo. Lamentablemente, cuando hablamos de ácido hialurónico, se trabaja muy a ojo, no se tiene una sistemática de protocolo. Por eso, hemos creado un protocolo odontológico sistematizado, que hasta ahora no existía, donde el ácido hialurónico no solo sirve para hacer un rostro más atractivo, sino que nos pueda ayudar a estilizar, a reposicionar, a dar volumen y rejuvenecer.

Las formaciones actuales hablan del ácido hialurónico como tratamiento médico estético; si bien poco a poco vamos conociendo formaciones de odontólogos para odontólogos sobre el uso de ácido hialurónico, casi siempre con motivos médico-estéticos.

De ahí la necesidad de crear un protocolo puramente odontológico sobre el ácido hialurónico, en el cual se relacionan todas las especialidades odontológicas, y que nos permita objetivizar los resultados. Es decir, no trabajar a ojo, sino desde el análisis estético bucofacial de un paciente hasta cada uno de los protocolos y técnicas que vamos a desarrollar.

También explicamos cómo son nuestras técnicas propias y exclusivas para odontólogos que hemos desarrollado a lo largo de estos años. Estas técnicas propias solo se pueden aprender en nuestras formaciones o a través de

este libro. Es un protocolo de técnicas propias creado a lo largo de estos 18 años para que las técnicas que se aprendan tengan resultados controlables y sin complicaciones. Nosotros hemos creado un protocolo muy específico con el cual controlamos al máximo e intentamos conseguir la máxima precisión no solo en las formaciones, sino también en este libro.

—¿Puede destacar qué capítulos son los más reseñables?

—Interesa todo el libro en general porque contamos el protocolo a lo largo de los capítulos. Desde lo más básico (la historia, la química) hasta lo más avanzado, que son las técnicas. Es decir, el protocolo empieza desde la primera página y acaba en la última. Y es un libro muy sencillo de entender y muy práctico. El lector podrá desarrollar fácilmente estos procedimientos de tipo práctico en su propia clínica.

—¿Es sencillo poder incorporar este tratamiento en las clínicas?

—Si se tiene un protocolo acertado y una enseñanza correcta, esta técnica es muy fácil y segura de realizar. De hecho, nuestras formaciones son cursos cortos; no hace falta más que un día y medio intensivo por cada módulo (3 módulos).

Tal vez, el mayor inconveniente está en que, si no se tiene una buena base de formación, se queda el alumno o profesional con miedo a aplicarlo y terminan por no hacerlo. La mejor forma de transmitir seguridad al doctor que la va a realizar es contar con una base teórica importante, que esté basada en la evidencia científica, que inspire confianza al alumno a partir de un protocolo seguro que enseñe técnicas sin complicaciones.

También creo que el uso de ácido hialurónico es imprescindible desarrollarlo en todas las especialidades odontológicas. Si solo hacemos tratamientos para conseguir dientes y encías bonitas y no tratamos el área peribucal, estaremos olvidando un componente fundamental de la sonrisa. Si un especialista

16 Gaceta Dental · N o 359 | Septiembre 2023
«Esta publicación está dirigida no solamente a los estudiantes del grado de Odontología, sino también para todo odontólogo, independientemente de la especialidad que tenga»
QUÉ LEER. Dr. Egdar Romero

quiere crear una sonrisa bonita debe analizar y tratar también la parte labial y peribucal extraoral.

Es decir, todo aquello que no podamos resolver tratando dientes y encías para mejorar el rostro, como ocurre en ortodoncia, tendremos que recurrir al ácido hialurónico, que nos puede ayudar a voluminizar, estilizar, reponer, rejuvenecer; es decir, realizar todos esos cambios volumétricos que normalmente no se pueden conseguir haciendo únicamente tratamientos intraorales. Aquí reside el éxito de los cursos y de este libro.

—¿Considera que el ácido hialurónico se ha convertido en una opción imprescindible de ofertar en las clínicas?

—Para nosotros es un orgullo el hecho de que los pacientes vengan a pedir al odontólogo que sea él quien quien realice los tratamientos con ácido hialurónico en el tercio facial inferior. Hace 18 años, cuando empezamos a realizar estos tratamientos, los pacientes no sabían siquiera qué era el ácido hialurónico, pero hoy en día es tan conocido y se ven tantas ventajas y propiedades que tiene en todo nuestro organismo, que los pacientes ya se empiezan a enterar de que la persona más acertada para realizar estos procedimientos en el tercio facial inferior debe ser el odontólogo, debido a que los pacientes no solo nos piden estilizar, sino también nos piden mejorar y cuidar sus sonrisas. Nuestro protocolo enseña a mejorar las sonrisas y enseña a cómo no estropearlas. Porque tal vez no se conoce tanto que, con el ácido hialurónico,

¡VISITA LA TIENDA GACETA DENTAL!

Puedes conocer más detalles sobre esta novedosa obra en nuestra Tienda online de Gaceta Dental. También aquí encontrarás otras publicaciones entre los más de 200 títulos sobre Odontología que te ayudarán a seguir actualizando tu formación como profesional.

También puedes suscribirte a nuestra newsletter para estar al día de todas las novedades editoriales del sector dental.

Además, si quieres plasmar tus conocimientos científicos y destreza en Odontología y ponerlos a disposición de tus colegas, ahora puedes publicar tu propio libro. Gaceta Dental pone a tu alcance todos sus recursos y experiencia para ayudarte a editar y publicar tu próxima obra profesional.

Contacta con nosotros y te informaremos de cuáles son las condiciones que te permitirán editar tu propio libro de contenido científico y divulgativo que sea de interés para los diferentes profesionales del sector dental. De forma rápida y sencilla podemos dar vida a tus proyectos.

Manda un email a francisco@ gacetadental.com o jorge@ gacetadental.com y te ayudaremos.

17 Gaceta Dental · N o 359 | Septiembre 2023
«Lamentablemente, cuando hablamos de ácido hialurónico, no se tiene una sistemática de protocolo. Por eso hemos creado un protocolo odontológico sistematizado»
Dr. Edgar Romero. QUÉ LEER

también se pueden estropear las sonrisas si no se tiene una formación correcta con objetivos odontológicos.

En definitiva, existe un aumento de la demanda de pacientes que vienen al odontólogo a pedir que sea él quien le inyecte ácido hialurónico en el tercio facial inferior porque saben que esta es un área de perfeccionamiento para nosotros.

—¿Qué futuro ve a este tipo de tratamientos?

—El ácido hialurónico todavía está siendo estudiado y se cree que es una de las sustancias que puede ayudar a la inmunidad al cáncer. Si bien los estudios no han sido concluidos, aparentemente los resultados serán favorables. Lo que está claro es que el ácido hialurónico es una sustancia de «reparabilidad» que favorece la cicatrización y ayuda a mejorar los procesos de estabilización de heridas. Nuestra idea es ver al ácido hialurónico no solo como un material de relleno o estética, sino como un material de reparabilidad. Y esto es algo que viene argumentado por la cantidad de usos que, cada vez más, se le da, por ejemplo: la caída del cabello, gotas para reparar heridas de cirugía ocular, en las articulaciones para aliviar el dolor crónico, cremas y geles para pieles quedamas, etc. En definitiva, creo que el ácido hialurónico tiene un futuro importante.

—¿Qué técnicas estrella se presentan en el libro?

—Nosotros no manejamos el ácido hialurónico únicamente de forma extraoral con un objetivo estético o facial, sino que lo utilizamos en distintos tipos de especialidades odontológicas y para todas ellas hemos creado varias técnicas y protocolos. Somos los primeros en España que hemos desarrollado el concepto del uso del ácido hialurónico intraoral. Hemos creado protocolos para el manejo de geles tópicos para mejorar la cicatrización de cualquier herida en boca, ya sea por aparatos de ortodoncia, por alguna cirugía, afta… Hemos creado protocolos para poder inyectar ácido hialurónico en las papilas para ayudar a que el tejido gingival crezca y mejore. También, hemos incorporado esta sustancia en cirugías de Implantología y regeneración ósea para así potenciar los injertos óseos y los distintos materiales que utilizamos en cirugía.

Y, en la parte extraoral, hemos creado técnicas estrella, como la corrección de la sonrisa gingival con ácido hialurónico, bloqueando o inhibiendo mecánicamente músculos elevadores de la sonrisa, lo que hoy en día se conoce como miomodulación. Se trata de realizar bloqueos de músculos de la sonrisa para ayudar a corregir la sonrisa gingival, bajando así la línea de la sonrisa hasta 8 mm sin necesidad de engrosar labios o recurrir a técnicas quirúrgicas, que son más complejas, o a procedimientos que paralizan la musculatura, como es el caso de la toxina botulínica, que puede llegar a producir inestabilidad en la expresividad de una sonrisa natural.

También en aquellos pacientes de ortodoncia que no quieren someterse a cirugía ortognática, como pueden ser los pacientes de clase II esqueletal, que requieran dar mayor prominencia al mentón, reborde mandibular y/o ángulos de mandíbula .

Y cuando el objetivo es únicamente estético, también aquí hay procedimientos no solo de la parte estética visual, sino también procedimientos odontológicos que podemos llevar a cabo. En definitiva, el ácido hialurónico es cada vez más un aliado para este tipo de procedimientos y esto es básicamente lo que presentamos en el nuevo libro. ●

18 Gaceta Dental · N o 359 | Septiembre 2023
«Existe un aumento de la demanda de pacientes que vienen al odontólogo a pedir que les inyecten ácido hialurónico en el tercio facial inferior porque saben que esta es un área de perfeccionamiento para nosotros»
QUÉ LEER. Dr. Egdar Romero

Organiza:

Avalado y firmado por varios miembros de la SEOP.

Amplía tus conocimientos en Odontopediatría

Este ejemplar ha sido desarrollado para profesionales y estudiantes del sector odontológico con una visión práctica y enfoques concretos para abordar cada caso clínico relacionado con la Odontopediatra o la Odontología en general.

Impulsa:

· tienda.gacetadental.com · 606 948 236

Ciencia y clínica Implantes de 4,5 mm de longitud en sectores posteriores del maxilar superior con baja densidad ósea

Estudio retrospectivo

La rehabilitación del maxilar posterior atrófico con baja densidad ósea con implantes cortos y extracortos es muy complicada, debido a la dificultad para la estabilización del implante principalmente. Cada vez más se utilizan implantes extracortos y ultracortos para rehabilitar estas áreas anatómicas sin empleo de técnicas accesorias.

En el siguiente estudio retrospectivo, analizamos implantes de 4,5 mm longitud insertados en zonas posteriores del maxilar superior con un volumen óseo residual de entre 1,5 y 5 mm con una densidad entre 100 y 250 Unidades Hounsfield, insertados mediante un protocolo minucioso de fresado y planificación basado en el análisis del cone-beam, el anclaje tridimensional y la densitometría.

En cuanto al material y métodos,

fueron reclutados pacientes en los que se hubiesen insertado implantes en sectores posteriores maxilares de 4,5 mm de longitud, en un volumen óseo residual en altura de entre 1,5 y 5 mm y con una densidad ósea de entre 100-250 Hu medida en el conebeam de planificación en el período comprendido entre diciembre de 2020 y diciembre de 2021.

El implante fue la unidad de análisis para la estadística descriptiva en cuanto a la localización, dimensiones del implante y mediciones radiográficas.

La variable principal fue la supervivencia del implante y como variables secundarias se registraron la pérdida ósea mesial y distal.

Fueron reclutados 14 pacientes en los que se colocaron 14 implantes que cumplieron con los criterios de inclusión establecidos. La media de la altura ósea de la cresta residual fue de 4,40 mm (+/- 0,78). La densitometría

DR. EDUARDO ANITUA DDS, MD, PhD Private practice in oral implantology, Eduardo Anitua Institute, Vitoria (España). Clinical researcher, Eduardo Anitua Foundation, Vitoria (España). University Institute for Regenerative Medicine and Oral
20 CIENCIA Y CLÍNICA.
Gaceta Dental · N o 359 | Septiembre 2023
ImplantologyUIRMI (UPV/EHUFundación Eduardo Anitua), Vitoria (España).
Ciencia

media para todos los implantes estudiados fue de 157,14 Hu (+/54,97), siendo las Hu más frecuentes 100 y 200 en el 42,9% de los casos, respectivamente. Todos los implantes fueron cargados en dos tiempos quirúrgicos con prótesis atornillada con transepitelial y ferulizados a otros implantes. La media de la pérdida ósea mesial medida en la última radiografía fue de 0,021 mm (+/- 0,25) y la media de la pérdida ósea distal medida en este punto fue de 0,066 mm (+/- 0,34).

Se concluye que el implante de 4,5 mm en sectores posteriores maxilares puede ser utilizado como técnica de rehabilitación mínimamente invasiva, incluso cuando la densidad ósea sea baja, siempre que se realice una correcta planificación y ejecución quirúrgica basándonos en el lecho receptor y las características del mismo.

INTRODUCCIÓN

Hoy en día, tenemos numerosas opciones para enfrentarnos a la atrofia vertical en los sectores posteriores maxilares. Las primeras referencias para poder colocar implantes en estas áreas con reabsorción en altura y ocupación del seno maxilar de parte del volumen óseo residual se sitúan en los años 70, cuando se describe la técnica de elevación de seno mediante el abordaje lateral y la colocación de un injerto óseo bajo la membrana de Schneider para poder recuperar la altura ósea perdida y, posteriormente, insertar los implantes de gran longitud, que eran los presentes en ese momento de la Implantología (1-3).

Posteriormente, la técnica evoluciona, haciéndose cada vez más predecible, utilizándose diferentes biomateriales y mezcla de estos con

«Las técnicas de abordaje del maxilar atrófico en sector posterior están en constante evolución, y con la llegada de los implantes ultracortos de menos de 5 mm se han abierto nuevos horizontes terapéuticos»
21 Ciencia. CIENCIA Y CLÍNICA Gaceta Dental · N o 359 | Septiembre 2023
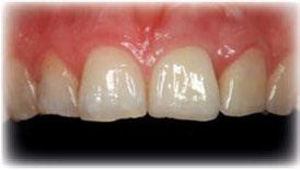
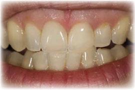
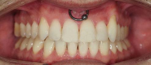
Figuras 1 y 2. Prótesis iniciales de la paciente. La prótesis completa superior presenta problemas estéticos, como vemos en las fotografías intraorales y de sonrisa.

hueso autólogo, incluso llegándose a realizar la elevación y colocación de implantes de forma simultánea, en ocasiones sin ningún material de injerto (4-7). Más tarde, la evolución constante de la Implantología reduce la longitud de los implantes, naciendo los primeros por debajo de los 10 mm que permitían la inserción directa de los implantes en zonas donde anteriormente se precisaba una elevación de seno.

Tras estos implantes comienzan a disminuirse las longitudes cada vez más, buscando implantes cortos y extracortos que, de forma menos traumática, permitan la realización de abordajes de las atrofias maxilares posteriores en altura, con las longitudes de 6,5 y 5,5 mm (8-11).

Además, la técnica convencional de elevación de seno se modifica, creándose un abordaje desde la cresta ósea (elevación transcrestal), primeramente mediada por osteótomos impulsados por un martillo y, posteriormente, con diferentes técnicas menos traumáticas hasta llegar a las fresas de corte frontal o los abordajes ultrasónicos, con un riesgo muy bajo de perforación de la membrana, logrando con éxito

la rehabilitación de crestas con un bajo volumen óseo residual en una sola fase (técnica + colocación de implante) (12-14).

De esta manera, el abordaje transcrestal, unido a implantes cortos y extracortos, se convierte en la técnica de elección para los sectores posteriores del maxilar con atrofia vertical, debido principalmente a que es una técnica de sencillo manejo y alta predictibilidad, reduciéndose su indicación a la presencia de al menos 5 mm de altura ósea residual y a una densidad suficiente para estabilizar el implante (15, 16).

Nuestro grupo de estudio demostró, posteriormente, que se puede realizar esta técnica con implantes cortos y extracortos, aunque existan menos de estos milímetros de reborde residual, si se logra una correcta estabilización del implante de forma tridimensional en el perímetro de la cresta alveolar. Para ello es importante una secuencia de fresado adaptada al lecho receptor y basada en las densidad del hueso remanente, por lo que un correcto estudio del lecho receptor con un cone-beam dental y la adaptación de la secuencia específica de fresado para cada situación podía hacer posible el éxito, incluso, en situaciones muy comprometidas con un volumen óseo residual en torno a los 3 - 4 mm de altura (17-20).

En los últimos tiempos, cada vez más pacientes con edentulismo de larga evolución quieren beneficiarse de las rehabilitaciones implantológicas y acuden a nuestras consultas pacientes con atrofias más severas, bien porque no han recibido tratamiento con implantes durante mucho tiempo después de perder sus dientes o bien porque han fracasado otros tratamientos con implantes

22 CIENCIA Y CLÍNICA.
Gaceta Dental · N o 359 | Septiembre 2023
«Fruto de la necesidad de lograr un abordaje mínimamente invasivo en los casos de mayor reabsorción ósea nacen los implantes extracortos de menos de 5 mm»
Ciencia

dentales dejándonos un punto de partida muy complejo, desde el punto de vista de volumen óseo residual para la colocación de implantes.

Fruto de esta necesidad de lograr un abordaje mínimamente invasivo en los casos de mayor reabsorción ósea nacen los implantes extracortos de menos de 5 mm (21, 22). Con estos implantes que podemos denominar «ultracortos», podemos, por lo tanto, llegar a realizar abordajes transcrestales de sectores posteriores del maxilar posterior, al igual que se han realizado estos abordajes durante años con los implantes cortos y extracortos. Como hemos dicho anteriormente, la estabilización del implante es un punto crucial para su supervivencia y, por lo tanto, el éxito del tratamiento, por lo que enfrentarnos a crestas alveolares de 3-6 mm de altura con una baja densidad podemos considerar que representa el escenario más desfavorable para la colocación de implantes ultracortos de forma directa y con elevación transcrestal (23, 24).

En el siguiente estudio retrospectivo, analizamos implantes de 4,5 mm longitud insertados en zonas posteriores del maxilar superior con un volumen óseo residual de entre 1,5 y 5 mm con una densidad entre 100 y 250 Unidades Hounsfield, insertados mediante un protocolo minucioso de fresado y planificación basado en el análisis del cone-beam, el anclaje tridimensional y la densitometría.

MATERIAL Y MÉTODO

Fueron reclutados pacientes en los que se hubiesen insertado implantes en sectores posteriores maxilares de 4,5 mm de longitud, en un volumen óseo residual en altura de entre 1,5 y 5 mm y con una densidad ósea de

entre 100-250 Hu medida en el conebeam de planificación en el período comprendido entre diciembre de 2020 y diciembre de 2021.

Todos los pacientes fueron estudiados antes de la inserción de los implantes mediante modelos diagnósticos, exploración intraoral y realización de CBCT (cone-beam) analizado, posteriormente, mediante un software específico (BTI-Scan III). En este softawe se planifica minuciosamente la colocación del implante con estabilización tridimensional en el volumen óseo residual, en función de las características de cada paciente y se estima la densidad ósea en el punto de inserción del implante. Antes de la inserción de los implantes se utilizó una premedicación antibiótica consistente en amoxicilina 2 gr vía oral una hora antes de la intervención y paracetamol 1 gramo vía oral (como analgésico).

Posteriormente, los pacientes prosiguieron con un tratamiento de amoxicilina 500-750 mg vía oral cada 8 horas (según peso) durante 5 días. Los implantes fueron colocados

23 Ciencia. CIENCIA Y CLÍNICA Gaceta Dental · N o 359 | Septiembre 2023
«El principal reto que nos supone este abordaje es lograr la estabilidad primaria necesaria para que el implante no sufra micromovimientos durante la fase de integración»

mediante la técnica de fresado biológico, a bajas revoluciones, sin irrigación manteniéndose en todo momento el control del neoalveolo diseñado y de la confección del mismo en función del implante que va a albergar posteriormente (14, 17, 18). El fresado final de la cortical sinusal se realiza con la fresa de corte frontal (ideada para esta técnica) que nos permite la retirada del suelo del seno maxilar sin dañar la membrana de Schneider (14, 17, 18).

Una vez la membrana es accesible mediante la perforación crestal se despega, se inserta el implante con el motor quirúrgico fijado a 25 Ncm y 25 rpm, finalizando la inserción del implante con la llave dinamométrica (Figura 1)

El implante fue la unidad de análisis para la estadística descriptiva en cuanto a la localización, dimensiones del implante, y mediciones radiográficas. La variable principal fue la supervivencia del implante y como variables secundarias se registraron la pérdida ósea mesial y distal.

La medición de la pérdida ósea marginal se realizó en la última radiografía periapical realizada

con posicionador de seguimiento. Una vez obtenida la radiografía en formato digital es calibrada mediante un software específico (Digora for Windows, SOREDEX Digital Imaging systems) a través de una longitud conocida en la radiografía como es el implante dental.

Una vez introducimos la medida de calibración, el programa informático realiza un cálculo basado en esta medida para eliminar la magnificación, pudiendo realizar mediciones lineales exentas de este error. La pérdida ósea crestal fue medida en dos puntos: mesial y distal de cada implante.

Se realizó un test de ShapiroWilk sobre los datos obtenidos para constatar la distribución normal de la muestra. Las variables cualitativas se describieron mediante un análisis de frecuencias y las variables cuantitativas se describieron mediante la media y la desviación estándar. La supervivencia de los implantes se calculó mediante el método de Kaplan-Meier. Los datos fueron analizados con SPSS v15.0 para windows (SPSS Inc., Chicago, IL, USA).

RESULTADOS

Fueron reclutados 14 pacientes en los que se colocaron 14 implantes que cumplieron con los criterios de inclusión establecidos. El 64,3% de los casos fueron mujeres, con una edad media de 58,66 años (+/-14,63). El 7,1 % de los pacientes presentaban diabetes no insulinodependiente (tipo II), al igual que hipertensión arterial tratada con fármacos que también se dio en el mismo porcentaje de pacientes. Ningún paciente de los incluidos en el estudio fumaba. Todos los implantes fueron de longitud 4,5 mm con diámetros comprendidos entre los 3,75 y 6 mm, siendo el más

24 CIENCIA Y CLÍNICA.
Gaceta Dental · N o 359 | Septiembre 2023
«La confección de una prótesis elaborada sobre un transepitelial puede marcar la diferencia entre el éxito a largo plazo del tratamiento o la aparición de complicaciones»
Ciencia

Oferta de másteres propios

Duración: 2 años | Créditos ECTS: 120

Tipología del máster: TEORÍA ONLINE ONLINE

TRASTORNOS DEL SUEÑO PARA MÉDICOS Y ODONTÓLOGOS

TERAPIA REGENERATIVA BUCOFACIAL Y REHABILITACIÓN IMPLANTOLÓGICA ORAL

ABIERTO PLAZO DE INSCRIPCIÓN

Hasta el 30 de septiembre de 2023

MÁS INFORMACIÓN EN: www. fundacioneduardoanitua.org

Tipología
del máster: PRESENCIAL Incluídos en la oferta formativa de posgrado de la Universidad del País Vasco

frecuente el diámetro de 4,75 y de 4,25 mm con un 28,6% para cada grupo. El resto de diámetros se muestran en la Figura 2

Las posiciones de los implantes incluidos en el estudio fueron para la posición 26 en el 35,7% de los casos, para la posición 16 en el 28,6% de los casos, la posición 17 en el 21,4% de los casos y, por último, la posición 27 en el 14,3% de los casos. La media de la altura ósea de la cresta residual fue de 4,40 mm (+/- 0,78). La densitometría media para todos los implantes estudiados fue de 157,14 Hu (+/-

54,97), siendo las Hu más frecuentes 100 y 200 en el 42,9% de los casos, respectivamente. En la Figura 3 se muestran las posiciones de los implantes incluidas en el estudio y los diámetros empleados en función de la densitometría registrada en la zona de colocación del implante.

El torque medio de inserción de los implantes estudiados, medido en el momento de la colocación mediante llave dinamométrica, fue de 20 Ncm (+/- 16,8). Los torques mayores de inserción se obtuvieron en el grupo de 200 Ncm, aunque la

Figura 2. Diámetros de los implantes incluidos en el estudio.
26 CIENCIA Y CLÍNICA. Ciencia Gaceta Dental · N o 359 | Septiembre 2023
Figura 3. Posiciones de los implantes estudiados y diámetros en función de la densitometría. Podemos observar cómo las densidades más bajas se han registrado para los dientes 17 y 26, incrementándose en estos casos el diámetro del implante para lograr una mayor estabilidad.

diferencia de torque entre los cuatro grupos de densidades estudiadas no fue estadísticamente significativa (p=0,194).

En cuanto al uso de técnicas accesorias, en todos los casos se llevó a cabo una elevación de seno transalveolar con hueso autólogo como material de relleno en todos los casos y en dos de los pacientes se llevó a cabo, además, una sobrecorrección vestibular para ganar volumen a este nivel con hueso autólogo unido a PRGF-endoret y membranas de fibrina recubriendo la zona. Todos los implantes fueron cargados en dos tiempos quirúrgicos con prótesis atornillada con transepitelial y

ferulizados a otros implantes. La ferulización fue a otros dos implantes en el 71,4% de los casos, a 3 implantes en el 14,3 % de los casos, a 4 implantes en el 7,1% de los casos y a una prótesis híbrida de arco completo en el 7,1% de los casos.

El tiempo medio de seguimiento tras la carga fue de 13,5 meses (+/2,70) y durante este tiempo no se observó ningún fracaso de implantes siendo, por lo tanto, la supervivencia del 100%. La media de la pérdida ósea mesial medida en la última radiografía fue de 0,021 mm (+/- 0,25) y la media de la pérdida ósea distal medida en este punto fue de 0,066 mm (+/- 0,34).

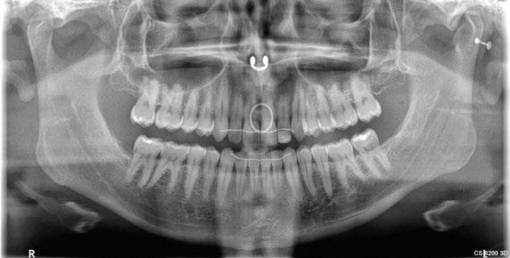
Figura 4. Imagen radiográfica del tramo edéntulo correspondiente a los dientes 25 y 26 del segundo cuadrante.
27 Ciencia. CIENCIA Y CLÍNICA Gaceta Dental · N o 359 | Septiembre 2023
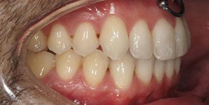
Figura 5. Corte de planificación de la zona donde se va a insertar el implante en posición 26, con una altura residual de 1,5 mm, como podemos observar en el corte de planificación seccional. Figura 6. Planificación del implante de 4,5 mm de longitud con una densidad máxima de 200 Hu en la zona de inserción del implante, correspondiente a la parte de anclaje en la cortical vestibular que será nuestro punto para lograr la estabilidad inicial necesaria. Figura 7. Carga progresiva del implante con prótesis provisional a los 5 meses de la inserción ferulizado a un implante anterior de mayor longitud (5,5 mm). Se coloca una prótesis de carga progresiva realizada en resina con una estructura de barras articuladas que nos permita ir reforzando el hueso y afianzando la oseointegración. En la radiografía vemos, además, el volumen óseo ganado sobre el ápice del implante de 4,5 mm. Figuras 9 y 10. Imágenes finales del caso con la prótesis definitiva. Figura 8. Implante con la prótesis definitiva elaborada por CAD CAM y atornillada sobre transepitelial como la prótesis inicial de carga progresiva.
28 CIENCIA Y CLÍNICA. Ciencia Gaceta Dental · N o 359 | Septiembre 2023
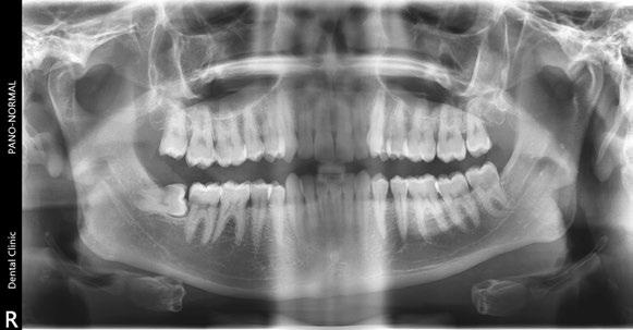
Figura 11. Radiografía final a los 2 años de seguimiento. Podemos observar el mantenimiento de la estabilidad lograda a largo plazo con el implante de 4,5 mm y el aumento en la altura y densidad ósea de la zona.

En las Figuras 4-12 se muestra uno de los casos incluidos en el estudio.

DISCUSIÓN

Las técnicas de abordaje del maxilar atrófico en sector posterior están en constante evolución y, con la llegada de los implantes ultracortos de menos de 5 mm, se han abierto nuevos horizontes terapéuticos, pudiendo lograr abordajes muy poco invasivos para casos muy extremos, como el mostrado en las imágenes ilustrativas de la presente serie de casos.

Poder disponer de una herramienta como estos implantes, que, de forma atraumática, nos permita realizar una elevación de seno transcrestal con inserción directa del implante y lograr estabilidad primaria, incluso en casos de muy baja densidad como los mostrados en este trabajo, nos abren una nueva línea de tratamiento sobre la que seguir perfeccionando nuevos y más novedosos protocolos (24-27).

El principal reto que nos supone este abordaje es lograr la estabilidad primaria necesaria para que el implante no sufra micromovimientos durante la fase de integración y el tratamiento sea exitoso. Para ello, las

Figura 12. Conebeam tras los dos años de seguimiento, donde se observa la estabilidad del procedimiento.

imágenes tridimensionales del conebeam en sus cortes seccionales, nos permiten escoger el punto de mayor densidad donde situar estratégicamente nuestra zona de anclaje así como individualizar la secuencia de fresado (10, 11, 14).

Si logramos la estabilidad buscada, a pesar de que el torque sea bajo, podemos obtener el éxito del tratamiento si se realiza la inserción del implante de forma conservadora sin dañar el lecho óseo. Revisiones sistemáticas y estudios prospectivos sobre el torque de inserción de los implantes dentales a diferentes torques no encuentran diferencias estadísticamente significativas entre torques altos o bajos de inserción en la supervivencia del implante ni en la pérdida ósea crestal del mismo (28-31).

Además, consideramos importante resaltar las características propias del implante. En los casos mostrados en el presente estudio, la superficie empleada (unicCa) resulta de la incorporación a la superficie multirrugosa óptima de una capa de iones de calcio. Esta modificación química, higroscópica y polar le da al implante su aspecto húmedo único y característico, pero, lo más importante, convierte la superficie

29 Ciencia. CIENCIA Y CLÍNICA Gaceta Dental · N o 359 | Septiembre 2023

en superhidrofílica. Esto implica el contacto completo de la sangre y el plasma con todos los puntos de la superficie, incrementando al máximo la superficie activa para la regeneración (32, 33).

Por último, pero no menos importante, la confección de una prótesis elaborada sobre un transepitelial que nos garantiza un correcto sellado en la interfase implante-prótesis y mejora la transmisión de cargas al hueso periimplantar puede marcar la diferencia entre el éxito a largo plazo

del tratamiento o la aparición de complicaciones (34-36).

CONCLUSIONES

El implante de 4,5 mm en sectores posteriores maxilares puede ser utilizado como técnica de rehabilitación mínimamente invasiva, incluso cuando la densidad ósea sea baja siempre que se realice una correcta planificación y ejecución quirúrgica basándonos en el lecho receptor y las características del mismo. ●

BIBLIOGRAFÍA

1. CHANAVAZ M. Sinus grafting related to implantology. Statistical analysis of 15 years of surgical experience (19791994). J Oral Implantol. 1996; 22 (2): 119-30.

2. CHIAPASCO M, RONCHI P. Sinus lift and endosseous implants preliminary surgical and prosthetic results. Eur J Prosthodont Restor Dent. 1994 Sep; 3 (1): 15-21.

3. SMILER DG, JOHNSON PW, LOZADA JL, MISCH C, ROSENLICHT JL, TATUM OH JR, WAGNER JR. Sinus lift grafts and endosseous implants. Treatment of the atrophic posterior maxilla. Dent Clin North Am. 1992 Jan; 36 (1): 15186; discussion 187-8.

4. WAGNER JR. A 3 1/2-year clinical evaluation of resorbable hydroxylapatite OsteoGen (HA Resorb) used for sinus lift augmentations in conjunction with the insertion of endosseous implants. J Oral Implantol. 1991; 17 (2): 152-64.

5. JENSEN OT. Allogeneic bone or hydroxylapatite for the sinus lift procedure? J Oral Maxillofac Surg. 1990 Jul; 48 (7): 771.

6. ZINNER ID, SMALL SA. Sinus-lift graft: using the maxillary sinuses to support implants. J Am Dent Assoc. 1996 Jan; 127 (1): 51-7.

7. SILVA LD, DE LIMA VN, FAVERANI LP, DE MENDONÇA MR, OKAMOTO R, PELLIZZER EP. Maxillary sinus lift surgery-with or without graft material? A systematic review. Int J Oral Maxillofac Surg. 2016 Dec; 45 (12): 1570-1576.

8. ESFAHROOD ZR, AHMADI L, KARAMI E, ASGHARI S. Short dental implants in the posterior maxilla: a review of the literature. J Korean Assoc Oral Maxillofac Surg. 2017 Apr; 43 (2): 70-76.

9. HADZIK J, KUBASIEWICZ ROSS P, NAWROT HADZIK I, GEDRANGE T, PITUAJ A, DOMINIAK M. Short (6 mm) and Regular Dental Implants in the Posterior Maxilla-7-Years Followup Study. J Clin Med. 2021 Mar 1; 10 (5): 940.

10. ANITUA E, ORIVE G, AGUIRRE JJ, ANDÍA I. Five-year clinical evaluation of short dental implants placed in posterior areas: a retrospective study. J Periodontol. 2008 Jan; 79 (1): 42-8.

11. ANITUA E, PIÑAS L, BEGOÑA L, ORIVE G. Long-term retrospective evaluation of short implants in the posterior areas: clinical results after 10-12 years. J Clin Periodontol. 2014 Apr; 41 (4): 404-11.

12. SUMMERS RB. A New Concept in maxillary implant surgery: the osteotome technique.Compendium.1994; 15: 154–6.

13. DEL FABBRO M, CORBELLA S, WEINSTEIN T, CERESOLI V, TASCHIERI S. Implant survival rates after osteotome-mediated maxillary sinus augmentation: a systematic review. Clin Implant Dent Relat Res 2012; 14 (Suppl 1): e159–e168.

14. ANITUA E, FLORES J, ALKHRAISAT MH. Transcrestal Sinus Floor Augmentation by Sequential Drilling and the Use of Plasma Rich in Growth Factors. Int J Oral Maxillofac Implants. 2017 May/June; 32 (3): e167–e173.

30 CIENCIA Y CLÍNICA. Ciencia Gaceta Dental · N o 359 | Septiembre 2023

15. SOARDI E, COSCI F, CHECCHI V, PELLEGRINO G, BOZZOLI P, FELICE P. Radiographic analysis of a transalveolar sinus-lift technique: a multipractice retrospective study with a mean follow-up of 5 years, Journal of Periodontology 2013; 84: 1039–1047.

16. DEL FABBRO M, CORBELLA S, WEINSTEIN T, CERESOLI V, TASCHIERI S. Implant survival rates after osteotome-mediated maxillary sinus augmentation: a systematic review Clinical Implant Dentistry and Related Research 2012; 14, supplement 1: e159–e168, 2012.

17. ANITUA E, PIÑAS L, ALKHRAISAT MH. Early marginal bone stability of dental implants placed in a transalveolarly augmented maxillary sinus: a controlled retrospective study of surface modification with calcium ions. Int J Implant Dent. 2017; 3: 49.

18. ANITUA E, ALKHRAISAT MH, PINAS L, ORIVE G. Efficacy of biologically guided implant site preparation to obtain adequate primary implant stability. Ann Anat. 2015; 199: 9–15.

19. ANITUA E, FLORES J, FLORES C, ALKHRAISAT MH. Longterm Outcomes of Immediate Loading of Short Implants: A Controlled Retrospective Cohort Study. Int J Oral Maxillofac Implants. 2016; 31: 1360-1366.

20. ANITUA E, CARDA C, ANDIA I. A novel drilling procedure and subsequent bone autograft preparation: a technical note. Int J Oral Maxillofac Implants 2007; 22: 138-45. Erratum in: Int J Oral Maxillofac Implants. 2007; 22: 309.

21. BOLLE C, FELICE P, BARAUSSE C, PISTILLI V, TRULLENQUEERIKSSON A, ESPOSITO M. 4 mm long vs longer implants in augmented bone in posterior atrophic jaws: 1-year postloading results from a multicentre randomised controlled trial. Eur J Oral Implantol. 2018; 11 (1): 31-47.

22. GASTALDI G, FELICE P, PISTILLI V, BARAUSSE C, IPPOLITO DR, ESPOSITO M. Posterior atrophic jaws rehabilitated with prostheses supported by 5 × 5 mm implants with a nanostructured calcium-incorporated titanium surface or by longer implants in augmented bone. 3-year results from a randomised controlled trial. Eur J Oral Implantol. 2018; 11 (1): 4961.

23. FAN T, LI Y, DENG WW, WU T, ZHANG W. Short Implants (5 to 8 mm) Versus Longer Implants (>8 mm) with Sinus Lifting in Atrophic Posterior Maxilla: A Meta-Analysis of RCTs. Clin Implant Dent Relat Res. 2017 Feb; 19 (1): 207-215.

24. GAŠPERŠIČ R, DARD M, LINDER S, OBLAK Č. The Use of 4-mm Implants Splinted to 10-mm Implants for Replacement of Multiple Missing Teeth in the Posterior Maxilla Region with Expanded Maxillary Sinus. An Observational Cases Series: Patient Characteristics and Preliminary Results. Int J Periodontics Restorative Dent. 2021 Mar-Apr; 41 (2): 261-268.

25. GAŠPERŠIČ R, DARD M, LINDER S, OBLAK Č. One-Year Results Assessing the Performance of Prosthetic Rehabilitations in the Posterior Maxilla Supported by 4-mm Extrashort Implants

Splinted to 10-mm Implants: A Prospective Case Series. Int J Oral Maxillofac Implants. 2021 Mar-Apr; 36 (2): 371-378.

26. PERELLI M, ABUNDO R, CORRENTE G, SACCONE C. Short (5 and 7 mm long) porous implants in the posterior atrophic maxilla: a 5-year report of a prospective single-cohort study. Eur J Oral Implantol. 2012 Autumn; 5 (3): 265-72.

27. ANITUA E. Two-Step Progressive Transcrestal Sinus Augmentation Using a 4.5 mm Unloaded Implant as a «Temporary Implant» in Highly Atrophic Ridge: Case Report. Eur J Dent. 2023 Jan 25.

28. VERRASTRO NETO A, ANDRADE R, CORRÊA MG, CASARIN RCV, CASATI MZ, PIMENTEL SP, RIBEIRO FV, CIRANO FR. The impact of different torques for the insertion of immediately loaded implants on the peri-implant levels of angiogenesisand bone-related markers. Int J Oral Maxillofac Surg. 2018; 47: 651-657.

29. NORTON MR. The Influence of Low Insertion Torque on Primary Stability, Implant Survival, and Maintenance of Marginal Bone Levels: A Closed-Cohort Prospective Study. Int J Oral Maxillofac Implants. 2017; 32: 849-857.

30. BERARDINI M, TRISI P, SINJARI B, RUTJES AW, CAPUTI S. The Effects of High Insertion Torque Versus Low Insertion Torque on Marginal Bone Resorption and Implant Failure Rates: A Systematic Review With Meta-Analyses. Implant Dent. 2016; 25: 532-40.

31. WANG TM, LEE MS, WANG JS, LIN LD. The effect of implant design and bone quality on insertion torque, resonance frequency analysis, and insertion energy during implant placement in low or low- to medium-density bone. Int J Prosthodont. 2015; 28: 40-7.

32. ANITUA E, PIÑAS L, MURIAS A, PRADO R, TEJERO R. Effects of calcium ions on titanium surfaces for bone regeneration. Colloids Surf B Biointerfaces. 2015 ;130: 173-81.

33. ANITUA E, PRADO R, ORIVE G, TEJERO R. Effects of calcium modified titanium implant surfaces on platelet activation, clot formation, and osseointegration. J Biomed Mater Res A. 2015; 103: 969-80.

34. ANITUA E, ALKHRAISAT MH, EGUIA A. Single-crown restorations in premolar-molar regions: short (≤ 6.5) vs longer implants: retrospective cohort study. Int J Implant Dent. 2022 Oct 4; 8 (1): 40.

35. ANITUA E, FLORES J, DE RETANA SF, ALKHRAISAT MH. Single-Unit Short Implants in the Molar Region: A Retrospective Study with a Minimum 3-Year Follow-up. Int J Periodontics Restorative Dent. 2022 Sep-Oct; 42 (5): 683-689.

36. HERNÁNDEZ MARCOS G, HERNÁNDEZ HERRERA M, ANITUA E. Marginal Bone Loss Around Short Dental Implants Restored at Implant Level and with Transmucosal Abutment: A Retrospective Study. Int J Oral Maxillofac Implants. 2018 Nov/ Dec; 33 (6): 1362-1367.

31 Ciencia. CIENCIA Y CLÍNICA Gaceta Dental · N o 359 | Septiembre 2023

Ciencia y clínica Caso clínico complejo tratado con ortodoncia invisible

Desde que en 1998 se introdujera en el mercado la ortodoncia invisible (1), ésta no ha parado de crecer. En sus comienzos, este sistema contaba con opciones limitadas a la hora de poder tratar a los pacientes, sin embargo, Align Technology® ha invertido en tecnología y recursos en esta última década, convirtiéndose en una opción más cómoda y actualizada para tratar casos más complejos de ortodoncia.

Muchos artículos han constatado la eficacia del sistema cuando se compara con ortodoncia fija, concluyendo que ambos sistemas son efectivos tratando maloclusiones (2) e, incluso, el paciente refiere menos molestias en los primeros días de adaptación (3). A partir de los tres meses de tratamiento (4), el paciente se adapta, en la mayoría de los casos, a los dos tipos de ortodoncia.

Las urgencias también se han reducido significativamente en este

tipo de tratamiento, mejorando la calidad de vida de los pacientes (5) y convirtiéndose en un sistema ortodóncico de elección tanto por profesionales como por pacientes.

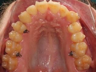
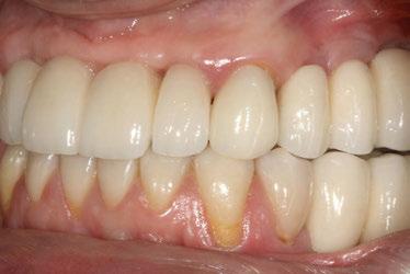
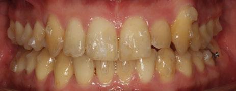
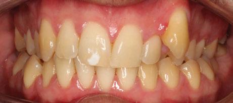
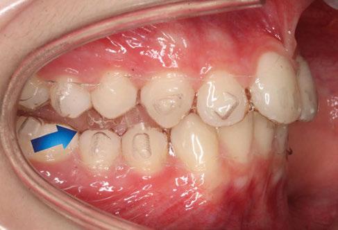
CASO CLÍNICO

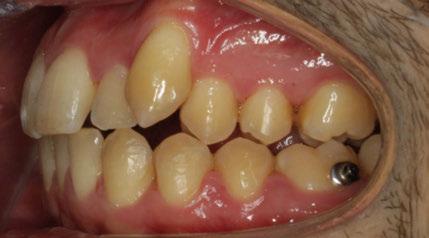
El paciente acude a El Bosque Clínica Dental en busca de tratamiento ortodóncico presentando un patrón braquifacial con un perfil recto.

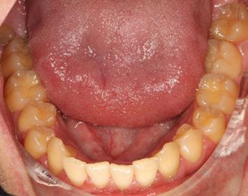
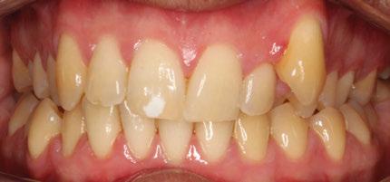
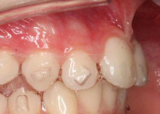
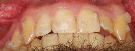
Se puede apreciar en la ortopantomografía la existencia de 18, 28, 38 y 48, siendo el 23 malposicionado el motivo principal de consulta (Figuras 1-5) (Tablas 1-2) Intraoralmente presenta clase II con mordida cruzada bilateral, línea media inferior desviada 3 mm hacia la derecha y canino ectópico por falta de espacio severo en la arcada superior. Se propone tratamiento con alineadores con los siguientes objetivos:

-Crear espacio para el 23 mediante distalización con previa exodoncia de 18.

32 Gaceta Dental · N o 359 | Septiembre 2023 CIENCIA Y CLÍNICA.
DRA. MARTA CUADRA LÓPEZ Ortodoncista exclusiva. Propietaria de El Bosque Clínica Dental. Speaker oficial de Invisalign®.
Caso clínico

-Corregir la mordida cruzada mediante expansión dentoalveolar.

-Corregir la desviación de líneas medias.

-Devolver la funcionalidad a la masticación.

En un inicio, cuando se diseña este plan de tratamiento, en el archivo ClinCheck no se incluye el 23, centrándose así exclusivamente en abrir espacio para ubicarlo en la arcada. Se solicita la instrucción al CAD-Designer de colocar un póntico cuando el espacio se estuviera abriendo (Figuras 6 y 7)

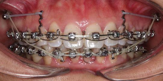
En este primer plan de tratamiento se planifica de inicio elásticos intermaxilares de mordida cruzada de 26 palatino hasta 36 vestibular y de 16 palatino hasta 46 vestibular de fuerza 1/8” 2,5 Oz 22h al día.

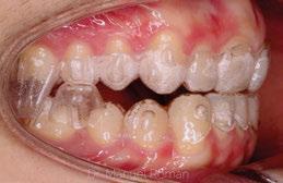
Cuando el problema transversal se corrigiese, se pasaría a tratar el problema anteroposterior con elásticos de clase II para asistir a la distalización, movimiento que logra una alta predictibilidad del sistema alcanzándose 2,25 mm de distalización (6) sin necesidad de mecánica auxiliar extra salvo elásticos de anclaje (Figura 8)

Se encarga el primer set de alineadores adicionales y es aquí donde se incluye ya ese canino, una vez conseguido más espacio, y se continúa con los objetivos de tratamiento. En ese plan de tratamiento se buscará corregir también la línea media con IPR asimétrico inferior (Figura 9)

Nótese en este plan de tratamiento cómo quedan las coronas sobreexpandidas tras el primer plan de tratamiento.

Hay que tener en cuenta que los alineadores biomecánicamente logran un empuje correcto, pero la tracción vestibular es más

«Desde que en 1998 se introdujera en el mercado la ortodoncia invisible, ésta no ha parado de crecer»
33 Gaceta Dental · N o 359 | Septiembre 2023
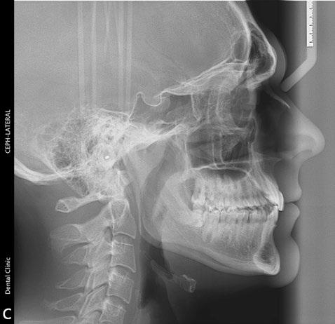
Figura 1. Radiografías iniciales del paciente. Caso clínico. CIENCIA Y CLÍNICA Figura 2. Cefalometría inicial Roth Jarabak. Figura 3. Cefalometría inicial Ricketts comprehensive.
34 Gaceta Dental · N o 359 | Septiembre 2023 CIENCIA Y CLÍNICA.
clínico
Tabla 1. Datos de cefalometría inicial Roth Jarabak.
Caso
35 Gaceta Dental · N o 359 | Septiembre 2023 Caso clínico. CIENCIA Y CLÍNICA
Tabla 2. Datos de cefalometría inicial Ricketts comprehensive. Figura 4. Fotografías iniciales extraorales del paciente.
36 Gaceta Dental · N o 359 | Septiembre 2023
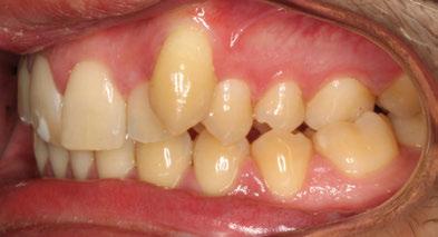
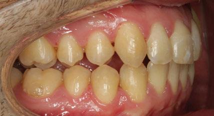
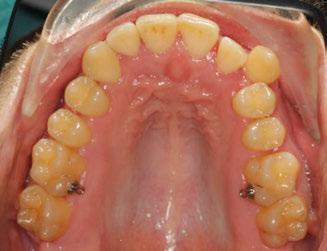
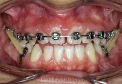
Figura 5. Fotografías iniciales intraorales del paciente.
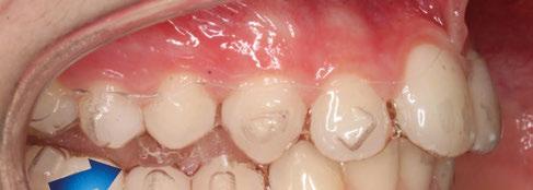
CIENCIA Y CLÍNICA. Caso clínico
Figura 6. Inicio del primer plan de tratamiento ClinCheck. Figura 7. Final del primer plan de tratamiento ClinCheck.
38 Gaceta Dental · N o 359 | Septiembre 2023 CIENCIA Y CLÍNICA.
Figura 8. Fotos extraorales del final del primer plan de tratamiento ClinCheck.
Caso clínico

comprometida de corregir. Bajo mi experiencia clínica, la recomendación es que cuanta más expansión se planifique, más torque radículo vestibular (Figura 10) habrá que aplicar en el plan de tratamiento ClinCheck, para evitar el volcamiento de las coronas y conseguir la expansión en masa.

Respecto a la corrección de la línea media con alineadores (Figura 11), la predictibilidad aumenta cuando se realiza la siguiente biomecánica: leve proinclinación (siempre teniendo en cuenta el límite biológico del hueso basal); a continuación, IPR en el lado donde se quiere mover la línea media; y, por último, retroinclinación.

Figura 9. Corrección de línea media con IPR asimétrico inferior.
39 Gaceta Dental · N o 359 | Septiembre 2023 Caso
CIENCIA Y CLÍNICA
Figura 10. Torque radículo vestibular para evitar el volcamiento de las coronas.
clínico.

Esta mecánica evitaría un movimiento lineal o en cortina, donde es mucho más fácil que los dientes adquieran una inclinación coronal indeseada (Figuras 12-15)

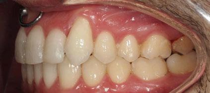
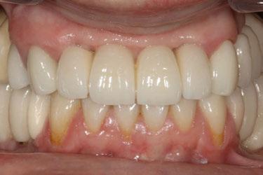
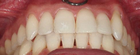
Tras terminar, el paciente se realizó una gingivectomía del 22, blanqueamiento combinado en clínica y casa, para lograr los resultados aquí descritos (Figuras 16-21) (Tablas 3-4).

CONCLUSIONES

La ortodoncia invisible puede ser usada en casos tanto simples como complejos, siempre que se conozca la biomecánica de los alineadores correctamente.

No existe, según la literatura revisada, diferencia en los resultados y eficacia entre ortodoncia fija y alineadores.

La distalización con el sistema Invisalign® es predecible en torno a 2,25 mm sin mecánica auxiliar.

Asimismo, los elásticos intermaxilares son vectores de

fuerza necesarios en la mayoría de los casos para conseguir una oclusión correcta y asistir en ciertos movimientos más complejos.

La función debe ir acompañada de la estética para conseguir una oclusión estable, además de conseguir una sonrisa armoniosa. ●

Figura 11. Corrección de la línea media.
40 CIENCIA
Gaceta Dental · N o 359 | Septiembre 2023
«La ortodoncia invisible puede ser usada en casos simples y complejos, siempre que se conozca la biomecánica de los alineadores correctamente»
Y
CLÍNICA. Caso clínico Figura 13. Fotografías de finalización del caso tras realizarse un blanqueamiento.
41 Gaceta Dental · N o 359 | Septiembre 2023 Caso clínico. CIENCIA Y CLÍNICA
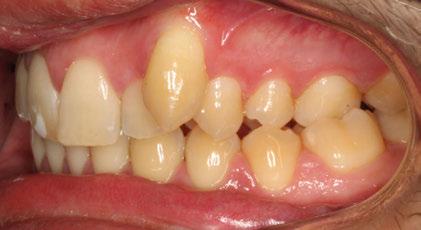
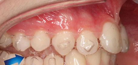
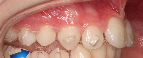
Figura 12. Fotografías de evolución del caso. Figura 14. Fotografías intraorales comparativas de principio y final del caso.
42 Gaceta Dental · N o 359 | Septiembre 2023 CIENCIA Y CLÍNICA.
clínico
Figura 15. Evolución de la arcada superior desde el inicio al final del tratamiento.
Caso
Figura 18. Radiografías finales. Figura 16. Fotografías extraorales comparativas de inicio y final del tratamiento.
44
Gaceta Dental · N o 359 | Septiembre 2023
Figura 17. Fotografías extraorales finales.
CIENCIA Y CLÍNICA. Caso clínico
Tabla 3. Datos de cefalometría final de Roth Jarabak Figura 19. Cefalometría final de Roth Jarabak. Figura 20. Cefalometría final Ricketts comprehensive.
45 Gaceta Dental · N o 359 | Septiembre 2023 Caso clínico. CIENCIA Y CLÍNICA
Figura 21. Superposiciones finales de Rickets.
46 Gaceta Dental · N o 359 | Septiembre 2023 CIENCIA Y
Tabla 4. Datos de cefalometría final de Ricketts comprehensive.
CLÍNICA. Caso clínico

BIBLIOGRAFÍA

1. WEIR T. (2017). Clear aligners in orthodontic treatment. Australian dental journal, 62 Suppl 1, 58–62. https://doi. org/10.1111/adj.12480

2. KE, Y, ZHU Y, ZHU M. (2019). A comparison of treatment effectiveness between clear aligner and fixed appliance therapies. BMC oral health, 19 (1), 24. https://doi.org/10.1186/ s12903-018-0695-z

3. CARDOSO P C, ESPINOSA D G, MECENAS P, FLORES MIR C, NORMANDO D. (2020). Pain level between clear aligners and fixed appliances: a systematic review. Progress in orthodontics, 21 (1), 3. https://doi.org/10.1186/s40510-0190303-z

4. MADARIAGA A C P, BUCCI R, RONGO R, SIMEON V, D’ANTÒ

V, VALLETTA R. (2020). Impact of Fixed Orthodontic Appliance and Clear Aligners on the Periodontal Health: A Prospective Clinical Study. Dentistry journal, 8 (1), 4. https:// doi.org/10.3390/dj8010004

5. BORDA A F, GARFINKLE J S, COVELL D A, WANG M, DOYLE L, SEDGLEY C M. (2020). Outcome assessment of orthodontic clear aligner vs fixed appliance treatment in a teenage population with mild malocclusions. The Angle orthodontist, 90 (4), 485–490. https://doi.org/10.2319/122919-844.1

6. RAVERA S, CASTROFLORIO T, GARINO F, DAHER S, CUGLIARI G, DEREGIBUS A. (2016). Maxillary molar distalization with aligners in adult patients: a multicenter retrospective study. Progress in orthodontics, 17, 12. https:// doi.org/10.1186/s40510-016-0126-0

FORMACIÓN EN ESPAÑA CON TITULACIÓN OFICIAL DE ALIGN® Dra. Marta Cuadra Belli Ibáñez Lleva a
experto
Trained Coordinator
tu equipo al nivel
Caso clínico. CIENCIA Y CLÍNICA
Una formación para higienistas y directores de clínica que quieran alcanzar la excelencia.

a

Protocolo Di²gitalArch®️ 2.0 en fracaso de rehabilitación sobre diente natural

Existen diferentes protocolos Di²gitalArch®️ porque las situaciones clínicas que presenta el paciente de arcada completa son muy variadas. Teniendo como norma lograr un tratamiento sencillo y reproducible en todos los pacientes, en función de la situación clínica de cada uno de estos, y también del momento del tratamiento, elegiremos un protocolo Di²gitalArch que nos ayude a abordar y resolver el caso clínico.

El tratamiento implantológico con Di ²gitalArch de arcada completa se inicia, en la mayor parte de casos -aquellos que cumplan con los criterios para carga inmediata, para ello nuestra cirugía y la elección del sistema de implantes debe ir dirigida a la consecución de esos criterios-, con la colocación de implantes y la carga inmediata con una prótesis provisional fija, full digital , en el día.

Es en ese momento, en la primera cirugía, cuando encontramos las diferentes situaciones clínicas del paciente y, por tanto, debemos elegir qué protocolo Di ²gitalArch usar.

Una vez que el paciente está ya provisionalizado con una prótesis fija,

2
Di 2 gital al dí
DDS i2 Implantología Madrid. Dra. Sara Perrone DDS i2 Implantología Madrid. Dra. Cristina Cuadrado Canals DDS i2 Implantología Madrid. Dr. Luis Cuadrado de Vicente MD DDS i2 Implantología Madrid. Roberto Vives TPD Laboratorio «Dental Full Digital» Madrid. Ignacio Montiel TPD Laboratorio «Dental Full Digital» Madrid.
Gaceta Dental · N o 359 | Septiembre 2023 48 DI 2GITAL AL DÍ 2 A. Caso clínico
DR. LUIS CUADRADO CANALS

podremos, si es necesario, modificar esta prótesis provisional hasta llegar a la prótesis maqueta definitiva, cuya información copiará el laboratorio en la prótesis final.

En líneas generales Di ²gitalArch 2.0 cubre todas las indicaciones. Usando esa técnica, podremos tratar la totalidad de situaciones clínicas que se plantean.

Di ²gitalArch 1.0 estaría más indicado para usarlo al realizar la prótesis definitiva.

Si, en cambio, la situación clínica es muy favorable, con elementos fijos en el maxilar a tratar que puedan ser usados como referencia para copiar archivos, usaremos Di ²gitalArch Standard o Advanced.

Di ²gitalArch 1.0 y 2.0 están ya disponibles a través de Ziacom Medical.

La base del tratamiento inmediato es correlacionar el escaneado preoperatorio del paciente con el escaneado postoperatorio. Para ello, es necesario que existan estructuras fijas en común entre ambos escaneados.

Las técnicas Di²gitalArch Standard y Advanced usan piezas naturales del paciente o cualquier otra estructura que vaya a permanecer fija y pueda ser incorporada en ambos escaneados, aunque luego sea eliminada.

Cuando no es posible encontrar estos elementos de referencia debemos recurrir a la técnica 2.0:

1. Paciente con dentadura completa.

2. Paciente con piezas periodontales terminales con muy elevada movilidad.

3. Paciente con rehabilitación sobre implantes o diente natural fracasado.

4. Intensas atrofias.

«En líneas generales, Di2gitalArch 2.0 cubre todas las indicaciones. Usando esta técnica, podremos tratar la totalidad de situaciones clínicas que se plantean»
Gaceta Dental · N o 359 | Septiembre 2023 49
DÍ 2 A
Figura 1. Intraoperatoria inicial.
Caso clínico. DI 2GITAL AL

CASO CLÍNICO

Presentamos en esta entrega un caso de dentición natural fracasada que soporta una rehabilitación fija en maxilar superior. En este caso, no van a existir elementos de referencia cuando retiremos la prótesis ceramometálica. Por ello, es imposible resolverlo de una manera sencilla y exacta si no recurrimos a la técnica Di²gitalArch®️ 2.0.

La colocación del Di ²gitalArch 2.0 se realiza de la siguiente manera:

Antes de empezar la cirugía, se realiza, normalmente en la zona media, una incisión perpendicular al reborde alveolar, realizando el despegamiento necesario para tener un campo quirúrgico adecuado.

Se elige la posición en el hueso del miniimplante, basado en la presencia o no de raíces, puentes, implantes fracasados o dentadura completa.

La inclinación es normalmente de unos 25 grados en relación a la cresta alveolar.

Se usa la primera fresa hasta su tope y, a continuación, la segunda fresa. Tomamos el miniimplante de su vial. Solo hay una posición para retenerlo ya que la conexión, por su diseño, no es simétrica y todos los aditamentos entran siempre en una única posición. Se trata de un hexágono interno modificado en el que dos de sus caras son un semicírculo.

Con el CA insertamos el implante en su totalidad hasta que la marca longitudinal quede perpendicular al reborde alveolar. Si es necesario, finalizar la colocación con el adaptador de carraca. Procederemos de igual forma.

Una vez colocado el miniimplante, colocamos el Scanbody Di²gitalArch 2.0, que solo tiene una posición. Para ello, la marca longitudinal del scanbody debe quedar en la misma

posición en que quedó la de los aditamentos de inserción del implante. A continuación, escaneamos al paciente, inferior, superior y oclusión, incluyendo en el escaneado del maxilar a tratar y en el de oclusión el scanbody Di ²gitalArch 2.0.

Comenzamos entonces la cirugía, desmontando primero el scanbody Di ²gitalArch 2.0. Al acabar la cirugía, después de colocados los scanbodies de los implantes, colocamos el scanbody Di ²gitalArch 2.0.

Hacemos ahora una copia del escaneado preoperatorio y borramos el maxilar a tratar y reescaneamos, en esta ocasión, escaneado postoperatorio, que incluye los scanbodies de los implantes con el scanbody Di ²gitalArch 2.0.

Podemos realizar en el Trios en clínica la oclusión manualmente en la pestaña de oclusión gracias a la presencia del scanbody Di ²gitalArch 2.0 en este escaneado de oclusión (como en el caso que presentamos) o enviar el caso para que sea nuestro laboratorio el que realize la oclusión en Dental System. De esta manera, el laboratorio puede superponer todos los escaneados que contienen el scanbody Di ²gitalArch 2.0, incluso, si dejamos colocado el miniimplante hasta realizar la prótesis definitiva, el del escaneado para definitiva.

Gracias al Di ²gitalArch 2.0 podemos realizar los casos más complejos en el día si contamos con un laboratorio experto como Dental Full Digital de Madrid. ●

ACCEDE A ARTÍCULOS ANTERIORES Gaceta Dental · N o 359 | Septiembre 2023 50 DI 2GITAL AL DÍ 2 A.
clínico
«Di2gitalArch 1.0 y 2.0 están disponibles a través de Ziacom Medical»
Caso

FastTrack

DEMOS ONLINE

NUEVO SERVICIO HENRY SCHEIN SCHMIDT

TUS DEMOS ONLINE DONDE Y CUANDO LAS

NECESITES

DEMOSTRACIONES ONLINE DE EQUIPAMIENTO Y SOFTWARES PARA CLÍNICAS DENTALES.

Sesiones personalizadas con especialista

Resuelve tus dudas sobre equipamiento y softwares rápidamente

Ahorra tiempo y evita desplazamientos

Sesiones gratuitas. Sin compromiso de compra

¡Reserva ya tu cita! connectdental.henryschein.es/fast-track
Figura 8. Finalización manual de la orientación del miniimplante Di2gitalArch. Figura 9. Scanbody Di2gitalArch colocado. Figura 4. Primera fresa, con tope, para el miniimplante i2. Figura 5. Resultado del fresado, primera fresa. Figura 6. Miniimplante Di2gitalArch. Figura 7. Colocación con CA del miniimplante. Figura 2. Incisión perpendicular al borde oclusal.
52 Gaceta Dental · N o 359 | Septiembre 2023 DI 2GITAL AL DÍ 2 A. Caso clínico
Figura 3. Despegamiento de colgajos para colocar el i2. Figura 10. Escaneado modelo de estudio preoperatorio con Di2gitalArch. Figura 11. Exodoncias realizadas. Figura 12. Implantes Ziacom Galaxy colocados con pilares MU.Figura 13. Scanbodies MU colocados.
Gaceta Dental · N o 359 | Septiembre 2023 54 DI 2GITAL AL DÍ 2 A. Caso clínico
Figura 14. Imagen finalizada la sutura y recolocado el scanbody Di2gitalArch. Figura 15. Escaneado con Trios postoperatorio. Figura 16. Escaneado postoperatorio sin información de color. Figura 17. Vista frontal. Figura 18. Vista frontal con información de color. Figura 19. Alineación manual del maxilar inferior.
Gaceta Dental · N o 359 | Septiembre 2023 55 Caso clínico. DI 2GITAL AL DÍ 2 A
Figura 20. Alineación manual del maxilar superior. Figura 21. Alineación manual con Di2gitalArch. Figura 22. Alineación maxilar inferior, lado izquierdo. Figura 23. Alineación maxilar superior con Di2gitalArch. Figura 24. Alineación con Di2gitalArch maxilar superior. Figura 25. Alineación perfecta con Di2gitalArch usando la oclusión preoperatoria.
Gaceta Dental · N o 359 | Septiembre 2023 56 DI 2GITAL AL DÍ 2 A. Caso clínico
Figura 26. Resultado de la alineación postoperatoria. Figura 28. Retirada del scanbody Di2gitalArch. Figura 29. Tornillo de cierre para el miniimplante. Figura 30. Sutura finalizada.
Gaceta Dental · N o 359 | Septiembre 2023 57 Caso clínico.
AL DÍ 2 A
Figura 27. Visión frontal.
DI 2GITAL
Figura 32. Prótesis inmediata provisional. Figura 33. Estado preoperatorio. Figura 34. Prótesis provisional fija en el día colocada. Figura 36. Sonrisa postoperatoria con la prótesis provisional. Figura 35. Sonrisa preoperatoria.
Gaceta Dental · N o 359 | Septiembre 2023 58 DI 2GITAL AL DÍ 2 A. Caso clínico
Figura 31. Fresadoras del Laboratorio Dental Full Digital. Figura 39. Sistema Di2gitalArch 2.0. Figura 40. Fresa inicial Di2gitalArch 2.0. Figura 37. Kit Di2gitalArch. Figura 38. Sistema Di2gitalArch 1.0. Figura 41. Fresa final Di2gitalArch 2.0.
Gaceta Dental · N o 359 | Septiembre 2023 59
AL DÍ 2 A
Figura 42. Fresa de inserción con CA con marca longitudinal para orientar la conexión adecuadamente.
Caso clínico. DI 2GITAL

¡CONSIGUE EL LIBRO DEL DR. LUIS CUADRADO DE VICENTE EN LA TIENDA GACETA DENTAL!

Figura 44. El scanbody Di2gitalArch solo tiene una posición. Figura 43. MInimplante y scanbody Di2gitalArch.
Gaceta Dental · N o 359 | Septiembre 2023 60 DI 2GITAL AL DÍ 2 A. Caso clínico

Flujo digital en prótesis completa

El flujo digital ha pasado de ser una promesa de futuro, a una realidad.

Todo el protocolo de trabajo, desde el diagnóstico hasta el tratamiento, está mediado por un elemento digital, aunque cabe mencionar que todavía hay muchos protocolos que se realizan con flujos digitales incompletos o parciales.

¿Te consideras digitalizado por tener un escáner? Es una pequeña parte del entramado completo, pero puedes ser parte de la rueda que mueve el flujo para poder completar un proceso de fabricación de una dentadura completa o parcial.

FASES DEL PROCESO CAD/CAM EN ODONTOLOGÍA DIGITAL Y PRÓTESIS

DENTAL 3D: METODOLOGÍA

El sistema CAD/CAM refiere a una técnica de procesamiento que es asistida de manera digital. CAD/ CAM es el acrónimo de Computer Aid Design/Computer Aid Manufacturing (diseño asistido por ordenador/ fabricación asistida por ordenador).

La metodología utilizada por este tipo de tecnología se desarrolla a través de medios ópticos que permiten escanear un objeto sin necesidad de estar en contacto con el mismo y mediante un software de diseño que permite reacomodar las imágenes obtenidas para alcanzar la máxima exactitud al imprimir la pieza mediante una impresora 3D, como la que utilizamos con SprintRay, ayudándonos con la tecnología de obtención de escáner de Medit Company (Figura 1). De esta manera, podemos llegar a imprimir una dentadura o un puente a través de un archivo de lectura internacional para que la impresora pueda desarrollar su tarea de generar el diseño que tenemos en la pantalla y transformarlo en un hecho real. Para ello debes contar con:

-Un escáner de alta velocidad y completo margen de definición de los tejidos blandos y duros. En nuestro caso, utilizamos el Medit i700. La misma eficacia también la proporciona el Medit i500.

-Un entrenamiento y curva de

Informe
62 INFORME Gaceta Dental · N o 359 | Septiembre 2023
DR. FERNANDO GÉRMAN Director Dentinova Director Dentinova Academy. Postgrado en Implantes. New York University. Especialista en fobia dental. Perito dental. Asociación de peritos de Barcelona.

aprendizaje para poder solventar las situaciones que puedan ocurrir durante el escaneado. Esto te permitirá poder solucionar y atravesar las distintas barreras que puedan ocurrir durante el proceso de escaneado y toma de datos. La misma situación que ocurre cuando lo hacías en formato analógico, tomando las medidas con pastas y llevando a la boca las cubetas con los productos más adecuados para tomar todos los registros y, posteriormente, realizar los modelos de yeso (que en este caso serían impresos) (Figura 2).

-Un registro de mordida adecuado que permita dar una dimensión vertical y una relación intermaxilar correcta para el posicionamiento de la prótesis (completa o parcial) en base con la relación céntrica del paciente y sus tejidos periféricos (mucosa y labios) (Figura 3)

-Un sistema de envío automático con todos los datos escaneados al laboratorio asociado para que reciba la información a procesar.

-Un programa de diseño para poder realizar la interpretación de los datos escaneados y comenzar a diseñar las prótesis completas o parciales.

-Finalmente, una vez impresa nuestra prótesis, debemos conocer y respetar los pasos bajo un protocolo que garantice un material con las características adecuadas en resistencia, pulido y acabado final para una mejor adaptación y durabilidad en la boca de nuestro paciente.

¿Qué pasos necesitamos para un escaneado completo de un desdentado total?

-Comenzaremos por un escaneado completo del maxilar superior y desde la zona retromolar para continuar con el paladar y las arrugas

«Todo el protocolo de trabajo, desde el diagnóstico hasta el tratamiento, está mediado por un elemento digital»
63 INFORME Gaceta Dental · N o 359 | Septiembre 2023
Figura 1.

palatinas (Figura 4). Es importante tener alguna anatomía particular que se diferencie de un lado y otro para que el scandata no confunda los lados escaneados y cruce esta información. Recordemos retraer y separar los tejidos de la parte vestibular para una mejor sujeción de la futura prótesis impresa. Es complejo, pero es muy importante. Existen técnicas que puede permitir una mejor calidad de escaneo para conseguir este sellado periférico.

-Seguiremos con el escaneado del maxilar inferior (Figura 5), desde la parte posterior, al igual que el maxilar superior, recorriendo las mesetas o reborde alveolar de la encía para ir hacia el lado opuesto. Asimismo, es importante poder conseguir una buena extensión del maxilar de la misma manera que en el maxilar superior, así la dentadura

puede extenderse completamente y podemos conseguir un mejor asentamiento.

-Registros de mordida.

¿Cómo empezamos el proceso de impresión 3D?

Llegados a este punto, a partir de la toma de registros de los maxilares podremos enviar el archivo en formato «STL» y transformarlo en un modelo de impresión adaptado con el programa de Medit llamado «Model Builder», que nos brinda una estructura idónea de modelos clásicos con base y articulados para ser impresos (Figura 6).

Posteriormente, la podremos enviar a la impresora SprintRay de dos maneras distintas, según el gusto del usuario y de acuerdo con la experiencia de cada uno.

1. Envío a la nube: pudiendo así

Figura 2. Figura 3. Figura 4.
64 INFORME Gaceta Dental · N o 359 | Septiembre 2023
Figura 5.

realizar la impresión de los modelos del maxilar inferior y superior bajo un programa de IA absolutamente cómodo para el usuario que permite acomodar los archivos, de la mejor manera posible, para una impresión rápida y óptima. En este caso, los archivos de escaneados deben guardarse en el PC y, posteriormente, subirse o adjuntarse al programa de SprintRay Cloud.

2. Sistema «Raynware»: permite, desde la misma aplicación Medit, que los archivos de escaneo sean subidos al programa de impresión sin ningún paso intermedio. En este caso, debemos colocarlos de modo que tengan los mejores soportes para una buena retención en la plataforma de impresión. Este programa nos da la posibilidad de realizar los soportes de fijación del diseño y la ubicación espacial en la plataforma digital que imprimirá el archivo, según nuestra experiencia y aprendizaje.

¿Qué obtenemos en este paso?

Con este sistema habremos obtenido los maxilares escaneados listos para la confección de unos rodetes de registros y así obtener las relaciones intermaxilares.

Ambos sistemas dan la posibilidad de obtener los maxilares preparados para confeccionar una placa base para un rodete de mordida como lo

hacemos en el proceso analógico que nos permita realizar: el registro de mordida, la dimensión oclusal, la relación entre los maxilares y el tamaño futuro de los dientes y prótesis en relación con los labios del paciente (perfil facial).

Una vez obtenidos ambos maxilares impresos y teniendo la placa base con un registro de cera adecuado, marcamos, con algún tipo de rotulador o composite azul o de otro color, algunos puntos de referencia en la cera que vamos a escanear y escanemos ambos registros en la secuencia de mordida (Figura 7).

Al obtener todos estos datos, según las técnicas de escaneo bajo el protocolo de secuencia que nos guía el programa de Medit, podremos enviarlo al laboratorio para la elaboración final de la prótesis que vamos a imprimir (Figura 8)

¿Qué diseño recibimos de la prótesis completa en nuestro dispositivo móvil?

El laboratorio elabora la prótesis digitalmente y recibimos las prótesis diseñadas para nuestra inspección y control para el chequeo del diseño propuesto.

Esto mismo lo podemos apreciar en nuestro dispositivo móvil, a través del Exocad viewer o en nuestro

Figura 6.
65 INFORME Gaceta Dental · N o 359 | Septiembre 2023
Figura 7.

ordenador, para chequear y realizar, si es necesario, cualquier cambio. Al recibir estas imágenes y aprobar el diseño, conseguimos el archivo STL para poder enviarlo al sistema de impresión de SprintRay e imprimirlo en Raynware cloud o en el Raynware de nuestra aplicación del ordenador (Figura 9)

¿Qué hacemos entonces con el archivo STL de la prótesis completa?

Una vez recibido ese archivo, lo descargamos en nuestro ordenador y observaremos que, en realidad, son dos archivos separados:

1. Uno de los archivos pertenece a las piezas dentarias que pueden estar agrupadas en un solo bloque o separadas por segmentos, siendo lo más recomendable para obtener un mejor ajuste y la posibilidad de mejor adaptación a la placa base de la prótesis. Estas piezas serán las que cementaremos a la base impresa de la dentadura (Figura 10).

2. El segundo archivo constará de la base de la prótesis con su anatomía detallada, tal y como se hace tradicionalmente en los sistemas de diseño de prótesis en cera. En este caso, los detalles serán

digitalizados imitando la encía y las raíces. Más adelante podremos darle más detalles con maquillajes y colores que imiten la encía de una forma más natural (Figura 11).

¿Cómo comenzamos el proceso de impresión de la dentadura? Estos archivos que tenemos en nuestro ordenador son enviados al programa de impresión SprintRay Cloud para que, a través un proceso de IA, puedan ser adaptados y colocados en la plataforma virtual que aparece en la pantalla del programa (Figuras 12 a y b)

Previamente, deberemos clasificar qué es lo que queremos imprimir y seguir los pasos intuitivos que el programa nos va determinando como son (Figura 13) :

-El nombre del paciente o del trabajo que vamos a imprimir.

-El tipo de material que será utilizado para la impresión de la base o de los dientes.

-La calidad de la terminación de la superficie. Si la queremos más suave para estructuras con un acabado más detallado o, por el contrario, una superficie más rápida de imprimir, pero menos detallada.

Figura 8.
66 INFORME Gaceta Dental · N o 359 | Septiembre 2023
Figura 9.
POSGRADO UNIVERSITARIO IMPLANTOLOGÍA Y REHABILITACIÓN POSGRADO UNIVERSITARIO ORTODONCIA Y ORTOPEDIA DENTOFACIAL DIRIGIDO POR EL DR. DAVID VALERO DIRIGIDO POR EL DR. MANUEL ROMÁN 3 AÑOS 180 ETCS SEMIPRESENCIAL POSGRADOS UNIVERSITARIOS DE ODONTOLOGÍA +34 648 418 072 C/ Retama 7. MADRID L m cepume.com 9 2 AÑOS 120 ETCS SEMIPRESENCIAL
¡ABIERTO PLAZO DE INSCRIPCIÓN! +34 648 418 072 L m C/ Retama 7. MADRID 9 cepume.com K LA FORMACIÓN QUE CAMBIARÁ TU VIDA. PLATAFORMA ONLINE CLÍNICA Y AULA EN MADRID PRÁCTICAS EN PACIENTES DESDE EL 1ER AÑO COMPATIBLE CON TU TRABAJO IMPLANTOLOGÍA Y REHABILITACIÓN ORTODONCIA Y ORTOPEDIA DENTOFACIAL POSGRADOS UNIVERSITARIOS DE ODONTOLOGÍA 180 ECTS 120 ECTS
Figura 10. Figura 11. Figuras 12 a y b.
67 INFORME Gaceta Dental · N o 359 | Septiembre 2023
Figura 13.

-El tipo de soporte que fijará la estructura a la plataforma.

-Otros detalles que podremos customizar o dejar tal cual aparece de forma estándar, según nos marque el programa.

Al iniciar nuestro proceso de impresión, nos aparecerá el tiempo que nos va a tomar, la cantidad de resina que se utilizará y otros datos estadísticos que, posteriormente, se guardarán en el archivo de Raynware Cloud.

Para la confección de las piezas dentarias, SprintRay cuenta con resina de desgaste muy similar a la del diente natural. En la Figura 14 se muestra la botella de resina específica para piezas dentarias o coronas dentarias.

Para la base de la prótesis, existen diferentes colores e intensidades que dan un cromatismo similar, dependiendo del color de encía que elijamos (Figura 15)

Final de impresión

Cuando finalice la impresión, la plataforma se elevará y daremos por finalizado el trabajo. Solamente deberemos retirar los soportes

de fijación que une la prótesis a la plataforma de impresión (Figura 16)

En el caso de haber utilizado el sistema de impresión de Raynware Cloud, el sistema de fijación es una malla o red fácil de quitar a mano. Esto facilita y mejora muchísimo el proceso de la terminación de la prótesis, a diferencia de otros sistemas que deben ser retirados con alicates y cortadores por ser muy gruesos y que, además, dejan residuos de esa fijación en las estructuras protésicas, obligándonos a tener que pulirlas para retirarlas dejando verdaderas puntas o bordes redondeados de cada soporte creado. Es por ello por lo que se agradece el sistema de fijación de Raynware Cloud, ya que nos brinda una malla muy fácil de quitar sin dejar ningún residuo complicado para su eliminación (Figura 17)

Ahora nos toca realizar los pasos de posprocesados.

Lavaje. Pro Wash and Dry

Los restos de resina que tiene la estructura impresa deben ser eliminados y lavados a conciencia. Para ello, SprintRay cuenta con una

Figura 14.
68 INFORME Gaceta Dental · N o 359 | Septiembre 2023
Figura 15.

lavadora y secadora automática que permite y garantiza que la pieza impresa esté libre de restos de resina, lista para su polimerización y acabado final (Figura 18)

SprintRay Pro Wash and Dry es el primer sistema de lavado automatizado multietapa diseñado para la impresión dental 3D ofreciendo la velocidad, limpieza y facilidad de uso que exige el flujo de trabajo digital.

Gracias a su motor de alta potencia, su hélice de gran precisión y el innovador método de suministro de alcohol, este sistema puede completar

un lavado y secado completo de dos etapas en menos de 9 minutos, permitiendo al usuario dentista o auxiliar no interferir manualmente en el proceso de lavado y secado, lo que brinda seguridad y limpieza al usuario, además de garantizar una prótesis libre de residuos de resina.

Curado y postprocesado en Pro Cure 2

Las piezas deben ser curadas con una luz ultravioleta que permita realizar el cierre de microporos y darle a la prótesis la textura y uniformidad necesarias para

Figura 16. Figura 17. Figura 18.
69 INFORME Gaceta Dental · N o 359 | Septiembre 2023
Figura 19.

obtener una superficie adecuada en rigidez y/o flexibilidad, según las características del material elegido

(Figura 19)

Así nace el protocolo digital Pro Cure 2, un programa fácil y automatizado de menos de 5 minutos que permite regular la intensidad y duración del efecto de luz ultravioleta y el calor dependiendo del material a curar.

Terminado de la prótesis.

Ensamblaje

Ya tenemos la base de la prótesis y los dientes por separado.

Ahora nos toca ensamblar ambas estructuras para poder realizar el cementado con la misma resina que tenemos en la cubeta y volver a colocarlo en la Pro Cure para su fijación interna o cementado (Figura 20)

Posteriormente, podemos realizar un pulido con pastas de pulir clásicas de prótesis completa tradicional y cepillos de pulido de diferentes grosores hasta llegar al cepillo formado por telas a modo de felpas que le dan un brillo final especial. Si queremos, podremos terminar el

trabajo abrillantando (glaseando) con un Glaze de la marca GC, y polimerizar nuevamente con la ProCure o con una lámpara común de polimerizar composites que le da una terminación más brillante, aunque a veces no es necesario dependiendo de la calidad de nuestro pulido final (Figura 21).

Cabe destacar que existen distintas tinciones o composites fluidos que podemos utilizar para personalizar aún más la terminación de la prótesis. ●

Figura 20. Figura 21.
70 INFORME Gaceta Dental · N o 359 | Septiembre 2023
«Para la base de la prótesis, existen diferentes colores e intensidades que dan un cromatismo similar dependiendo del color de encía que elijamos»

DRA. INMACULADA TOMÁS

Académica de Número de la Academia de Ciencias Odontológicas de España

Con una larga trayectoria académica y profesional a sus espaldas, la Dra. Inmaculada Tomás tiene un objetivo claro dentro de la institución en la que ha ingresado este año: dar una visión innovadora y multidisciplinar en la investigación en Ciencias Odontológicas.

Protagonistas
Gaceta Dental · N o 359 | Septiembre 2023

El pasado mes de abril tomó posesión en la Academia Nacional de Ciencias Odontológicas como reconocimiento a su trayectoria académica y profesional, ¿qué se siente al ser la primera mujer odontóloga en conseguirlo?

—La noticia fue una gran sorpresa para mí porque no me la esperaba en absoluto. Ahora que formo parte de la Academia, me siento muy contenta y satisfecha con el hecho de que, reflejada en mi persona, la Universidad de Santiago de Compostela pueda enorgullecerse de este hito histórico para las mujeres en el ámbito académico. Además de mi propio esfuerzo personal, indudablemente, sin el respaldo de la propia universidad y también del Instituto de Investigación Sanitaria de Santiago (IDIS), este logro no se hubiese alcanzado.

También me gustaría agradecer a todas las personas que forman parte de mi grupo clínico y de investigación, desde hace más de una década, su compromiso y apoyo incondicional que ha impulsado nuestro avance en los últimos años.

—¿Queda algún tipo de sensación agridulce por no ser mayor el número de mujeres que forman parte de la misma?

—Esta situación de desequilibro en la Academia no deja de ser consecuencia del propio desequilibro que, por ejemplo, podemos apreciar en el ámbito universitario español ya que, en nuestro caso, en Odontología, el ratio Catedráticos/Catedráticas sigue siendo muy favorable hacia los hombres.

—¿Cuál será su contribución dentro de esta organización?

—Contribuiré a la institución dando una visión innovadora y multidisciplinar en la investigación en Ciencias Odontológicas, aportando como ejemplo, la aplicación de las tecnologías ómicas y de Inteligencia Artificial (IA) en las enfermedades relacionadas con el microbioma oral, el cual llevo estudiando desde el inicio de mi carrera. Por otro lado, será un objetivo prioritario para mí, como miembro de la Academia, trabajar intensamente para alcanzar

la paridad entre sus miembros, siempre bajo el prisma de la excelencia.

—¿Qué recuerda de su paso por la Facultad de Odontología? ¿Qué le motivó a dedicarse a la investigación en Odontología?

—Las buenas notas obtenidas en el Bachillerato y el COU junto a la Selectividad me permitieron acceder sin problemas a la Facultad de Odontología de Granada. En mi época, los dos primeros años se estudiaban en la Facultad de Medicina, y los tres últimos, se hacían en el Campus de la Cartuja, en la Facultad de Odontología, ubicada en un bonito edificio de estilo neomudéjar construido a finales del siglo XIX.

En mi clase, la promoción 92-97, éramos sobre 90 personas, se respiraba un «buen ambiente de compañerismo» y tengo muy buenos recuerdos de todos ellos. Francamente, recuerdo una carrera bien organizada y planificada con un alto contenido de actividad práctica, y en general, un elenco de profesores (los de Odontología, la mayoría muy jóvenes) muy bien formados, con conocimiento, y algunos de ellos, unos grandes oradores. Probablemente, este ambiente, junto a mi personalidad estudiosa, hizo que sintiera en los últimos años, mi verdadera vocación docente e investigadora, lo que me impulsó al poco tiempo de finalizar

73 Gaceta Dental · N o 359 | Septiembre 2023
PROTAGONISTAS
«Los sistemas de IA nos van a permitir determinar con precisión características clínicas relevantes, establecer el diagnóstico o tratamiento de una enfermedad e, incluso, anticipar la presencia de la patología oral»
Dra. Inmaculada Tomás.

la carrera a trasladarme a la Universidad de Santiago de Compostela para iniciar mi trayectoria académica en esta universidad.

—Usted lidera el grupo de investigación «Oral Sciences Research Group» en la USC, perteneciente a la Fundación Instituto de Investigación Sanitaria de Santiago de Compostela (FIDIS). ¿En el desarrollo de qué líneas de investigación está centrado actualmente dicho grupo y qué expectativas manejan sobre sus posibles aplicaciones?

—Bajo la creencia absoluta en la importancia de llevar a cabo una «investigación multidisciplinar», los investigadores clínicos de mi grupo estudian y se esfuerzan por adquirir conocimientos de otras áreas científicas con el propósito de aplicarlos en el ámbito de las Ciencias Odontológicas, demostrando que es posible liderar y hacer una investigación traslacional de alta calidad en Odontología. Desde hace más de 10 años, estamos centrados en el avance de dos principales líneas de investigación: 1) Patogénesis y diagnóstico de las enfermedades orales, especialmente las periodontales, mediante la aplicación y desarrollo de técnicas

bioinformáticas y de IA en tecnologías ómicas;

2) Diagnóstico odontológico sobre imágenes de la cavidad oral mediante la aplicación y desarrollo de técnicas de IA.

Indudablemente, las tecnologías ómicas y de IA han llegado a la Odontología en los últimos años, y se espera que la revolucionen mucho más en las próximas décadas. En nuestro ámbito, al igual que en el resto de la Ciencias de la Salud, los sistemas de IA nos van a permitir determinar con precisión características clínicas relevantes, establecer el diagnóstico o tratamiento de una enfermedad e, incluso, anticipar la presencia de la patología oral o su pronóstico mediante el análisis de genes, la priorización de factores de riesgo o la predicción de resultados.

—Tras centrar sus primeras investigaciones en el campo de la microbiología oral, en los últimos diez años, ha incorporado a dicha actividad las tecnologías ómicas y las técnicas de Inteligencia Artificial, ¿qué puede contarnos al respecto?

—Francamente, considero fascinante e inimaginable el futuro que nos depara la

74 Gaceta Dental · N o 359 | Septiembre 2023
Acto de nombramiento como Académica de Número en la Academia de Ciencias Odontológicas de España celebrado el día 14 de abril de 2023 en el Salón Noble de la Universidad de Santiago de Compostela. PROTAGONISTAS. Dra. Inmaculada Tomás

aplicación de las tecnologías ómicas y de IA en las Ciencias de la Salud y, específicamente, en las Ciencias Odontológicas, y cómo esos avances revertirán en el progreso de la humanidad. Sin embargo, este extraordinario auge de la IA va acompañado, sin duda, de nuevos retos en cuanto a responsabilidades morales que van mucho más allá de los requisitos técnicos y jurídicos, y debemos ser absolutamente conscientes de ello. En 2021, la Organización Mundial de la Salud estableció seis principios consensuados para garantizar que la IA redunde en un beneficio a la humanidad, siendo el primero de ellos, el de proteger la autonomía humana, confirmando que los profesionales deben seguir controlando el sistema sanitario y las decisiones médicas.

—¿Y sobre su labor como Coordinadora de la Unidad Clínica y de Investigación en Odontología para Pacientes con Necesidades Especiales?

—Desde su creación, el trabajo diario en la Unidad me ha permitido descubrir mi verdadera vocación clínica, la «Odontología en Pacientes con Necesidades Especiales», un ámbito clínico desafiante que me plantea retos diarios, pero también me aporta grandes satisfacciones y experiencias inolvidables con nuestros pacientes y sus familias, sus cuidadores y otros profesionales maravillosos. Siendo centro de referencia en nuestra comunidad autónoma, el perfil médico de los pacientes que acuden a la Unidad es muy diverso, abarcando desde las discapacidades físicas, psíquicas o sensoriales hasta la patología sistémica. En la Unidad trabaja un equipo dinámico de jóvenes odontólogos, bien formados, con valores éticos y personales, con espíritu de trabajo en equipo, que contribuyen al avance de nuestro Servicio Clínico con el fin último de satisfacer lo mejor posible las necesidades de nuestros pacientes. Aparte de la importante acción social, la Unidad representa un pilar docente fundamental en la vertiente práctica de la materia que imparto desde hace más de 15 años, «Odontología en el

Paciente Médicamente Comprometido» y una fuente de conocimiento que nutre y enriquece todo el material didáctico que preparamos sobre la temática.

—¿En qué consisten Dentius Deep Plaque y Dentius Age y en qué punto de su desarrollo se encuentra?

—Ambas aplicaciones informáticas las desarrollamos en 2020 en colaboración con investigadores del Centro de Investigación en Tecnologías Inteligentes de la Universidad de Santiago de Compostela (CITIUS). Dentius Deep Plaque es la primera aplicación web a nivel mundial que permite la visualización/ cuantificación de los niveles de placa bacteriana dental mediante un tratamiento automatizado de imágenes fotográficas, utilizando técnicas de IA. Esta herramienta informática ya la estamos aplicando en la actualidad para testar la eficacia antiplaca de nuevos productos de higiene oral, como el colutorio a base de cymenol. Por otra parte, Dentius Age es un software basado en Deep Learning para el cálculo automatizado de la edad cronológica de un individuo a través de una ortopantomografía.

En estos momentos, estamos realizando mejoras en los algoritmos de procesamiento en el software Dentius Deep Plaque y construyendo un dispositivo electrónico de luz ultravioleta LED para su uso en el sillón odontológico. Respecto a Dentius Age, esta herramienta informática la estamos aplicando a distintas poblaciones para efectuar el cálculo automatizado de la edad

75 Gaceta Dental · N o 359 | Septiembre 2023
«Hay que seguir trabajando para demostrarle a las instituciones públicas españolas y europeas que la investigación en Odontología es totalmente necesaria y útil»
Dra. Inmaculada Tomás. PROTAGONISTAS

cronológica y determinar su grado de precisión diagnóstica en comparación con métodos tradicionales.

—¿Qué importancia tiene para usted la investigación multidisciplinar? ¿Se promueve lo suficiente por parte de los organismos públicos y privados? ¿Cómo potenciarlo? —Francamente, en mi opinión, la dificultad en el ámbito de la investigación ha crecido exponencialmente en los últimos 15-20 años, por lo que considero que, para realizar una investigación de alta calidad en el ámbito de las Ciencias Odontológicas, es totalmente imprescindible llevar a cabo investigaciones multidisciplinares, que supongan la implicación de otras áreas científicas, como, por ejemplo, la bioinformática. Por otra parte, en líneas generales, los investigadores españoles somos totalmente conscientes de que la inversión pública en investigación que realiza nuestro país es muy inferior a la realizada por otros países europeos y, bajo este contexto, lamentablemente los proyectos otorgados a temáticas de Ciencias Odontológicas son

mínimos. Creo que hay que seguir trabajando intensamente para demostrarle a las instituciones públicas españolas y europeas que la investigación en Odontología es totalmente necesaria, útil e igualmente interesante que la realizada en otras Ciencias de la Salud. Por otro lado, considero muy importante destacar la conveniencia de afianzar las relaciones entre los grupos de investigación y el sector empresarial, potenciando ambos sus fortalezas en la búsqueda de intereses comunes.

—¿Cómo logra compaginar su faceta docente y clínica con sus proyectos de investigación? ¿Con cuál se quedaría de tener que elegir una sola?

—Bueno, intento ser organizada y dedicarle el 40% de mi tiempo profesional a la faceta docente y clínica, y el 60% a la faceta investigadora, aunque confieso que, en numerosas ocasiones, esto es muy complicado de cumplir. Respecto a la segunda pregunta, al ser una docente e investigadora clínica, para mí, ambas facetas están absolutamente entrelazadas. No se puede realizar investigación

76 Gaceta Dental · N o 359 | Septiembre 2023 PROTAGONISTAS.
Grupo clínico y de investigación de la Unidad de Pacientes con Necesidades Especiales coordinado por la Dra. Tomás en la Universidad de Santiago de Compostela. Dra. Inmaculada Tomás

clínica sobre pacientes sin tener contacto con la clínica; y, por otro lado, las facetas docente y clínica son indudablemente mejorables si se nutren de resultados de investigación.

—¿Cuáles son los mayores desafíos que ha enfrentado en su carrera como odontóloga investigadora? ¿Veremos su cuarta patente?

—Pues creo que uno de los mayores desafíos a los que me he enfrentado como odontóloga investigadora es obtener desde hace más de 10 años de forma continuada proyectos de investigación competitivos a nivel nacional del Instituto Carlos III con temáticas relacionadas con las Ciencias Odontológicas y liderar estos proyectos como investigadora principal. Por supuesto, que este desafío continúa «vivo» e intentaré conseguir nuevos proyectos competitivos de diferente índole, no solo nacionales, sino también europeos. Y sí, claro, habrá una cuarta y probablemente una quinta patente. ¿Por qué no? Pero me gustaría aclarar que, para mí, lo más importante no es la fase de patentado, sino la posibilidad de realizar o crear cosas, patentables o no, realmente útiles y aplicables en el ámbito clínico odontológico, y esto es lo realmente difícil.

—¿Cuál es su enfoque sobre la formación de nuevos investigadores en Odontología en España?

—Pongo el ejemplo con mi propio grupo de investigación, donde hay varias jóvenes investigadoras en formación, a las que les exijo una perspectiva formativa dual basada en compaginar su formación clínica odontológica integral (en nuestro caso, en el ámbito de los pacientes con necesidades especiales) con una formación sólida en metodología de la investigación, aprendiendo y entendiendo los fundamentos de los métodos tradicionales y las nuevas tecnologías para aplicarlos en las Ciencias Odontológicas.

—Por último, y teniendo en cuenta su experiencia, ¿qué consejos o pautas les daría a los estudiantes interesados en seguir su ejemplo como investigadores?

—Lo primero que me gustaría decirles es que la carrera investigadora en el ámbito académico es una «carrera de fondo» donde prevalece la perseverancia y el tesón. Se me ocurren varios consejos: elegir muy bien el grupo de investigación donde uno quiere iniciarse, optar desde el principio a contratos competitivos de investigación, practicar una investigación honesta y responsable, realizar estancias de investigación en otros grupos nacionales e internacionales, y para mí, sin duda, lo más importante, mantener siempre la ilusión por aprender e investigar. ●

La Dra. Inmaculada Tomás vestida de Académica el día 14 de abril de 2023.
77 Gaceta Dental · N o 359 | Septiembre 2023
«Es posible liderar y hacer una investigación traslacional de alta calidad en Odontología»
Dra. Inmaculada Tomás. PROTAGONISTAS

Dra. Gema Maeso Mena

Licenciada en Odontología por la Universidad Complutense de Madrid (UCM), 1999.

Especialista en Odontología Preventiva y programas comunitarios por la UCM, 2000.

Doctor en Odontología por la UCM 2002 por la tesis "Niveles de metaloproteinasas y su inhibidor en la enfermedad periodontal".

Premio a la mejor comunicación de investigación oral en Sepa Valencia, 2004.

Máster en Periodoncia e implantología UCM, 2004. European Board in Periodontics por la Federación Europea de Periodoncia (EFP), 2004.

Publicaciones en revistas nacionales e internacionales. Escritora del libro Bioseguridad en la clínica dental.

Ponente de cursos nacionales e internacionales sobre periodoncia y asepsia.

Profesor de periodoncia e implantología en la Universidad Complutense de Madrid desde 2005.

Miembro SEPA, ITI.

SDA (Swiss Dental Academ) trainer.

Embajadora de Women Implantology Network WIN.

Principios de Bioseguridad en la clínica dental

Dirigido a odontólogos y personal de la clínica dental

Módulo 1. Bioseguridad

Repaso de conceptos de bioseguridad. Normativas a aplicar en nuestras consultas. Por qué es necesario realizar un campo estéril en nuestras cirugías y cómo realizarlo.

Módulo 2. Esterilización

Protocolo de reprocesamiento de instrumental: desde la recogida al almacenaje y validación del procedimiento.

Módulo 3. Normativa vigente

Normativas vigentes para cada paso.

Fecha: 29 de septiembre

Horario: 15:30 a 20:30 h

Cuota de inscripción: 20 €

Inscripciones en: coem.org.es/cursos

Lugar de celebración: Sede COEM

Mauricio Legendre, 38 - 28046 Madrid

Colaboran:

CURSO

Diseño de salas de esterilización

Diseño de salas de esterilización

Diseño de salas de esterilización

Diseño de salas de esterilización

Especialistas en salas

Especialistas

de esterilización

Especialistas en salas de esterilización

Equipamiento del fabricante especializado en esterilización

Especialistas en salas de esterilización

de esterilización

en salas

Equipamiento del fabricante especializado en esterilización

Equipamiento del fabricante especializado en esterilización

Equipamiento del fabricante especializado en esterilización

Protocolo del proceso de esterilización

Protocolo del proceso de esterilización

Protocolo del proceso de esterilización

Protocolo del proceso de esterilización

Sistema de trazabilidad integrado

Mantenimiento preventivo

Sistema de trazabilidad integrado Mantenimiento preventivo

Sistema de trazabilidad integrado Mantenimiento preventivo

Sistema de trazabilidad integrado Mantenimiento preventivo

Diseñamos la sala de esterilización para su Clínica Dental, de manera que minimice la posibilidad de contaminación, con el equipamiento necesario para todo el proceso de esterilización, certificados según las Normas Europeas. Asesoramos en la definición del proceso de esterilización más eficiente, incluyendo la definición de los controles periódicos, para asegurar que el material está esterilizado. Los equipos proporcionan un sistema de trazabilidad y registro que permita tener la información sobre los instrumentos y todo el proceso de esterilización. Realizamos el mantenimiento de los equipos para un correcto funcionamento, que evitan reparaciones correctivas y que la clínica tenga que parar.

Diseñamos la sala de esterilización para su Clínica Dental, de manera que minimice la posibilidad de contaminación, con el equipamiento necesario para todo el proceso de esterilización, certificados según las Normas Europeas. Asesoramos en la definición del proceso de esterilización más eficiente, incluyendo la definición de los controles periódicos, para asegurar que el material está esterilizado. Los equipos proporcionan un sistema de trazabilidad y registro que permita tener la información sobre los instrumentos y todo el proceso de esterilización. Realizamos el mantenimiento de los equipos para un correcto funcionamento, que evitan reparaciones correctivas y que la clínica tenga que parar.

Diseñamos la sala de esterilización para su Clínica Dental, de manera que minimice la posibilidad de contaminación, con el equipamiento necesario para todo el proceso de esterilización, certificados según las Normas Europeas. Asesoramos en la definición del proceso de esterilización más eficiente, incluyendo la definición de los controles periódicos, para asegurar que el material está esterilizado. Los equipos proporcionan un sistema de trazabilidad y registro que permita tener la información sobre los instrumentos y todo el proceso de esterilización. Realizamos el mantenimiento de los equipos para un correcto funcionamento, que evitan reparaciones correctivas y que la clínica tenga que parar.

Diseñamos la sala de esterilización para su Clínica Dental, de manera que minimice la posibilidad de contaminación, con el equipamiento necesario para todo el proceso de esterilización, certificados según las Normas Europeas. Asesoramos en la definición del proceso de esterilización más eficiente, incluyendo la definición de los controles periódicos, para asegurar que el material está esterilizado. Los equipos proporcionan un sistema de trazabilidad y registro que permita tener la información sobre los instrumentos y todo el proceso de esterilización. Realizamos el mantenimiento de los equipos para un correcto funcionamento, que evitan reparaciones correctivas y que la clínica tenga que parar.

Identyd Ibérica, S.L. - Calle Músico
Rodríguez de Hita, 12 Bajo 30007 Murcia t 900102034 - m info@identyd.com - www.euronda.es
Antonio
Identyd Ibérica, S.L. - Calle Músico Antonio Rodríguez de Hita, 12 Bajo 30007 Murcia t 900102034 - m info@identyd.com - www.euronda.es
Identyd Ibérica, S.L. - Calle Músico Antonio Rodríguez de Hita, 12 Bajo 30007 Murcia t 900102034 - m info@identyd.com - www.euronda.es
Identyd Ibérica, S.L. - Calle Músico Antonio Rodríguez de Hita, 12 Bajo 30007 Murcia t 900102034 - m info@identyd.com - www.euronda.es

DR. JOSÉ RAMÓN MOLINOS GRANADA

Medalla de Oro al Mérito Científico del COEM

Investigador en diferentes materias relacionadas con la Odontología y docente en varias universidades españolas e internacionales, el Dr. José Ramón Molinos Granada nos recibe en su clínica para repasar una trayectoria plagada de vivencias enriquecedoras y marcada por la excelencia.

Protagonistas
Gaceta Dental · N o 359 | Septiembre 2023

—Dr. Molinos, ha sido galardonado en los últimos meses con la Medalla de Oro al Mérito Científico por parte del Colegio Oficial de Odontólogos de la I Región (COEM). ¿Qué supone para usted recibir este reconocimiento tras cuatro décadas en la profesión? ¿Cuál es la clave del éxito? —Este reconocimiento es algo con lo que has podido soñar en alguna ocasión, pero nunca pensaba que se haría realidad, ya que hay muchos compañeros, muchísimos, que se lo merecen, incluso igual o más que yo. ¿Qué dónde radica la clave de éxito? En el trabajo y en tener un altísimo nivel de exigencia. La inteligencia la pondría en un segundo plano, el mundo está lleno de personas inteligentísimas fracasadas.

imaginar que, con el nivel de cada uno de ellos, ha sido un enriquecimiento enorme. Solo por mencionar a los presidentes de mi época, éstos fueron, nada más y nada menos, que Vicente Jiménez, Sabino Ochandiano, Javier Alández, Luciano Badanelli, Eugenio Grano de Oro, Ramón Soto-Yarritu y Jaime Jiménez, todos diferentes, pero con un mismo factor común, que eran únicos. Y si nombrara a todos los miembros que formaban estas candidaturas no podríamos seguir con esta entrevista, porque cada uno de ellos, en su especialidad, están en el grupo de cabeza de toda España. Esa es la realidad.

—¿Desde siempre tuvo claro que quería dedicarse a la Odontología? ¿Cuál es el recuerdo más bonito que tiene de la profesión ¿Y el más duro?

—En su carrera, además de ocupar la presidencia de la Federación Internacional de Implantología Oral (FIIO), también fue vicepresidente de la Comisión Científica del COEM. ¿Qué valoración hace de esta parte de su trayectoria? ¿Qué le ha aportado a nivel profesional?

—He sido miembro de la Comisión Científica del Colegio de Odontólogos y Estomatólogos de la I Región (COEM) durante cuatro candidaturas, es decir, 16 años, lo que se traduce en que han sido muchos los compañeros con los que he compartido una época muy especial, llena de vivencias maravillosas desde cualquier punto de vista, tanto profesional como afectivo. Centrándome en lo profesional, es sencillo

—¿Cómo lo explicaría? En mi caso, pertenezco a las últimas promociones de médicos estomatólogos. Odontólogos son mis hijos Ana y Jaime, y de ellos sí que sé por qué son odontólogos, ya que me ayudaban a colocar las diapositivas en los carruseles desde chiquitines y estaban encantados. ¿Por qué soy yo dentista? Cuando era pequeño, el padre de uno de mis mejores amigos lo era, y su abuelo protésico. Tenían la clínica y el laboratorio en su mismo domicilio, y allí pasábamos horas y horas viendo sacar muelas a su padre, y con charnelas a su abuelo. Quizás naciera así mi vocación, aunque, realmente, lo que quería ser de mayor era futbolista profesional, como mis hermanos, o periodista como mi padre. De hecho llegué a jugar en el Real Zaragoza juvenil y en la Selección de Aragón. Pero al cumplir 18 años y comenzar Medicina me vi obligado a dejar el fútbol.

En cuanto a mi mejor recuerdo, fue, una vez licenciado, cuando el destino puso en mi camino al Dr. Jiménez, que ha sido mi ‘hermano mayor’. Vicente me abrió las puertas de su consulta de par en par. Habían pasado muchos años y las charnelas habían sido sustituidas por articuladores, los tenía a docenas, era otro mundo. Me enseñó a disfrutar trabajando, siempre con una sonrisa, con un sentido del humor inimitable y una humanidad inusual.

«El Dr. Vicente Jiménez me enseñó a disfrutar trabajando, siempre con una sonrisa, con un sentido del humor inimitable y una humanidad inusual»
81 Gaceta Dental · N o 359 | Septiembre 2023
Dr. José Ramón Molinos Granada.
PROTAGONISTAS

Jamás olvidaré el momento en el que me dijo: ‘Moncho, este mes que viene, Sabino y tú vais a compartir una conferencia conmigo.’ Era la primera vez que iba a hablar en público, todavía recuerdo el título: «Oclusión y Articulación Temporo Mandibular en Ortodoncia». Respecto a mi momento más duro, creo que ninguno, porque ha habido lucha, cansancio hasta el agotamiento y, a veces, preocupación, pero siempre con una sonrisa.

—¿Por qué decidió especializarse en Implantología y Rehabilitación Oral, Implantología Maxilofacial e implantes osteointegrados? ¿Qué fue lo que le llamó la atención de estas ramas de la Odontología?

—Soy el pequeño de ocho hermanos, y mi madre siempre nos había dicho que le gustaría tener un hijo cura y otro cirujano. Ninguno de los siete anteriores habían tomado ese camino, y yo

quise darle una alegría, y entre cura o cirujano opté por lo segundo. Estudié Estomatología en la Universidad Complutense de Madrid para más tarde ir a los Estados Unidos a formarme en Implantología. En realidad, los médicos curamos los cuerpos y los curas curan el alma, o sea, que en ese aspecto nos parecemos bastante.

—Como nos comenta, su formación se ha dividido entre España, Estados Unidos y también Francia. ¿Ve muchas diferencias en la formación entre los distintos países? ¿Cree que la formación odontológica en España está a buen nivel? ¿Quiénes han sido sus referentes o figuras clave?

—En los países desarrollados no hay grandes diferencias. La tecnología es la misma, y los conocimientos los compartimos. España está en el más alto nivel y, actualmente, no tenemos que envidiar a ningún otro país.

«La clave del éxito radica en el trabajo y en un altísimo nivel de exigencia»
PROTAGONISTAS.
82 Gaceta Dental · N o 359 | Septiembre 2023
Miembro de la Comisión Científica del Colegio de Odontólogos y Estomatólogos de la I Región (COEM) durante cuatro candidaturas, el Dr. José Ramón Molinos Granada guarda un grato recuerdo de esta etapa, tanto profesional como afectivamente. Dr. José Ramón Molinos Granada

En cuanto a mis referentes, en España fui tomando contacto con la Implantología siguiendo los consejos del profesor Feliciano Salagaray, un extraordinario pionero en este campo, uno de los primeros que pusieron implantes en nuestro país. Y todavía más extraordinaria persona, si esto fuera posible. Más tarde fue el doctor Luis Cuadrado el que me sirvió de guía, ¡y menuda guía! Su manera de trabajar impecable, sus grandísimos conocimientos y su forma de ser, inmejorable. Una experiencia maravillosa estar a su lado durante ese tiempo y el que encendió la mecha para mi salida hacia Estados Unidos. Allí, junto con mi compañero el doctor Alfonso Álvarez Valdés, conocí, entre otros talentos, a Hilt Tatum, creador de la técnica de elevación sinusal para posterior colocación de implantes, que, con decir esto, está dicho todo.

También el profesor Leonard Linkow, quien creó y patentó, en 1963, el primer implante autorroscante. Ya en esas fechas utilizaba lo que él llamada ‘función inmediata’, la denominada actualmente carga inmediata, colocando 1.900 implantes aplicando esta técnica. Del Dr. Linkow contaban que podía trabajar con una turbina en cada mano al mismo tiempo, aunque cuando yo le pregunté que si era cierto, él sonriera. Pero nunca lo afirmó y tampoco lo negó. En el corto espacio de tiempo que fui presidente de la Federación

Internacional de Implantología Oral (FIIO) lo traje a España, al Colegio de Odontólogos y Estomatólogos de la I Región (COEM), para dar un curso donde nos contó sus experiencias en este campo. Unos años más tarde formamos juntos parte del profesorado del Máster en Implantología y Rehabilitación Oral en la Universidad de Nueva York, en la que impartían también la docencia los profesores Linkow, Tarnow, Lazara y Forum, principales figuras mundiales. Precisamente, otra de las personas que más han influido en mi carrera profesional fue el doctor Ballester, que era y es el director de dicho Máster. Todo un honor.

Y ¡qué decir del Dr. Carl Misch! El que no tenga los libros de Carl Misch no puede ser un buen cirujano, porque es el todo de la docencia. Todo está en sus libros, libros que no pueden faltar en nuestras consultas. Es un referente mundial. No quiero profundizar porque no es necesario, pero sí contar que al presentar

Redefiniendo el arte dental moderno Explore las unidades dentales Heka Heka Dental A/S Tel.: +45 43 32 09 90 heka-dental.es
«España está en el más alto nivel y no tenemos que envidiar a ningún otro país actualmente»
PROTAGONISTAS 83
Dr. José Ramón Molinos Granada.

mis casos de Implantología Oral en el estrado para obtener el Fellow en el Internacional Congress of Oral lmplantologists, me dijo: ‘usted y yo coincidiremos de nuevo compartiendo enseñanza’. Y de esto hace ya cerca de 30 años.

—Basándose en su experiencia como director de Máxima Excelencia Instituto Dental (MEID) y tras un largo recorrido dentro de la profesión, ¿cuál diría que han sido los cambios más significativos que ha experimentado la Odontología? ¿Qué se ha conseguido hasta ahora?

—Son muchos los cambios. Hay que tener en cuenta que mis comienzos fueron en la época de las amalgamas de plata, los inicios de los composites y también de los implantes. La verdad es que el mundo de la Odontología ha dado un cambio radical en los últimos

años, sobre todo, con la digitalización de la profesión. Recuerdo que para planificar un caso de Ortodoncia, mis ortodoncistas de aquella época tenían que zocalar los modelos de una forma determinada y seguetear manualmente. Actualmente, la ortodoncista de nuestra clínica es mi hija Ana Molinos Morera, quien demuestra lo que siempre digo, que con trabajo y exigencia se alcanza la excelencia. De hecho, fue la primera de su promoción en la Universidad Complutense de Madrid y consiguió el premio a la Excelencia en los Estudios de Odontología, otorgado por la Conferencia de Decanos de Odontología. A ella la veo planificar virtualmente los casos, enseñando el antes y el después, incluso superponiendo la imágenes del CBCT con los dientes para permitir saber perfectamente los movimientos, no solo de las coronas, sino también de las raíces en los tres

84 Gaceta Dental · N o 359 | Septiembre 2023
El Dr. Molinos Granada, junto a su hijo Jaime Molinos, miembro del equipo de Máxima Excelencia Instituto Dental y profesor del Departamento del Máster de Cirugía e Implantología Oral Avanzado en la Universidad Europea de Madrid (UEM).
PROTAGONISTAS.
Dr. José Ramón Molinos Granada

planos del espacio..., ¡parece ciencia ficción! Con respecto a la Implantología, hoy en día, disponemos de los escáneres intraorales y extraorales que nos permiten digitalizar y trabajar tanto con la boca como con la cara del paciente, junto con los CBCT, que nos facilitan realizar cirugías guiadas de manera totalmente digital mejorando tanto la planificación como la ejecución, siendo más predecibles y efectivos. Actualmente, es mi hijo Jaime Molinos Morera, el que lleva casi totalmente este servicio, ocupando, además, el puesto de profesor del Departamento del Máster de Cirugía e Implantología Oral Avanzado en la Universidad Europea de Madrid (UEM).

—Y, pensando en el futuro, ¿qué queda por hacer?, ¿qué le gustaría ver dentro de la Odontología, y especialmente dentro de las

ramas en las que usted se ha especializado, que no se haya logrado hasta el momento?

—Me gustaría ver una solución para las fisuras dentarias. Es curioso, cuando empecé en esta profesión era rarísimo ver una fractura o fisura dentaria, y se asociaban a comer alimentos duros, principalmente. Hoy en día, vemos fisuras y fracturas, semanalmente, asociadas al estrés y al bruxismo. Por eso, me encantaría que se consiguiera un tratamiento eficaz para poder sellarlas y evitar que se exodoncien. Sería el invento del siglo, porque estamos quitando dientes y muelas todas las semanas.

—Además de su faceta clínica, colabora como docente con varias universidades españolas e internacionales. ¿Cómo ve la cantera de dentistas que se forman en ellas?

—La verdad es que la docencia me apasiona porque creo que los conocimientos que adquirimos a lo largo de los años, tenemos, no solo el deber, sino la obligación de compartirlos. De otra manera, no hay avance. A lo largo de mi vida he dado múltiples cursos y seguimos impartiéndolos, actualmente, en nuestra clínica dental Máxima Excelencia Instituto Dental (MEID), siendo nuestras especialidades, la Implantología, Periodoncia, Ortodoncia y Estética facial para odontólogos. Con respecto a la formación que tienen los dentistas al salir de las universidades, tengo que decir que cada día salen mejor formados, con muchísimos conocimientos. Claro está que no salen con la especialidad hecha, pero para eso están los Másteres. De ese modo, obtienen una formación

El Dr. José Ramón Molinos Granada se interesó por la Implantología siguiendo los consejos del profesor Feliciano Salagaray, pionero en esta disciplina.
PROTAGONISTAS.
86 Gaceta Dental · N o 359 | Septiembre 2023
«Los conocimientos que adquirimos a lo largo de los años, tenemos, no solo el deber, sino la obligación de compartirlos. De otra manera, no hay avance»
Dr. José Ramón Molinos Granada

mucho mayor, pues el tiempo invertido en la experiencia da un mayor nivel profesional. Desde aquí, animo a todos los estudiantes que nunca dejen de apostar por la formación. Hay que estar en constante renovación.

—¿Qué les recomendaría a todos aquellos estudiantes que quieren dedicar su vida a esta profesión? ¿Qué deben tener en cuenta?

—Yo les recomendaría que esta elección sea puramente vocacional, pues es una profesión que genera muchísimo estrés y mucho tiene que gustarte para que merezca la pena haberla elegido. Estamos tratando a pacientes que vienen con dolor y ese dolor muchas veces persiste, aún con tratamientos correctos. Otras veces, realizamos rehabilitaciones completas orales, en las que no solo el paciente tiene que comer bien, sino que el factor estético es muy importante, sobre todo, cuando se actúa en sectores anteriores. Y la estética, además, es muy subjetiva según las personas.

Por tanto, se debe saber antes de llevarla a cabo el tratamiento que quiere el paciente, qué desea, pues una vez que el protésico, siguiendo nuestras instrucciones, termina su trabajo, ya no hay vuelta atrás, con lo que esto nos supone.

En las sesiones clínicas que realizamos en nuestro Instituto, con mis hijos Ana y Jaime, una vez elegido el plan de tratamiento, pregunto: ¿este es el tratamiento que elegirías para la persona que más quieres, madre, hermano, padre, abuela, tu mejor amigo...? Si la respuesta es sí, adelante.

—También es investigador en diferentes materias relacionadas con la Odontología. ¿Qué le aporta o ha aportado su faceta investigadora en el ámbito nacional y europeo? A su juicio, ¿hacia dónde deberían dirigirse las principales investigaciones en materia odontológica?

Dr. José Ramón Molinos Granada. PROTAGONISTAS

—La faceta investigadora siempre me ha servido para buscar la excelencia en nuestros tratamientos. Es importante, siempre, plantearse la evidencia científica para determinar los planes de tratamiento. El futuro de la Odontología, como en muchos ámbitos de la Medicina, es la Genética, el ADN salivar como herramienta tanto preventiva, diagnóstica y de tratamiento. El futuro y la apuesta tienen que ir hacia ese camino. Porque la aparatología ya la tenemos, entonces hay que ir por la investigación. ●

PERFIL PROFESIONAL

• Licenciado en Medicina y Cirugía. Universidad de Zaragoza.

• Médico estomatólogo. Universidad Complutense de Madrid.

• Máster en Oclusión y Rehabilitación Oral con el profesor M. Obrech.

• Máster en Endodoncia con el profesor Lasala.

• Máster en Medicina Estética. Universidad Rey Juan Carlos.

• Maxi Residencia en Implantología y Rehabilitación Oral. Universidad de Pittsburg.

• Postgrado en Implantología por Mish Implant Institute, Michigan.

• Felow del International Congress of Oral Implantologist.

• Diplomatura en Implantología Oral y Maxilofacial. Facultad de Medicina de Creati Paris XII.

• Profesor del Máster de Implantología y Rehabilitación Oral. Universidad de Nueva York.

• Miembro de diferentes Sociedades Científicas.

• Publicaciones en diferentes revistas científicas.

• Dictante de numerosas ponencias, conferencias y cursos en Universidades y Sociedades Científicas.

• Ex Vocal de la Comisión Científica del Ilustre Colegio de Odontólogos y Estomatólogos de la I Región.

• Medalla de Oro al Mérito Científico por el Ilustre Colegio de Odontólogos y Estomatólogos de la I Región.

88
El Dr. Molinos recomienda a aquellos que quieran dedicar su vida a esta profesión, que esta elección sea puramente vocacional «para que merezca la pena».
Gaceta Dental · N o 359 | Septiembre 2023
PROTAGONISTAS. Dr. José Ramón Molinos Granada

Especial Formación

Con motivo del lanzamiento de la Guía de formación 23/24, hemos dedicado unas páginas a esta parcela tan importante para la Odontología. Además de presentaros y avanzaros algunos de los contenidos de la novena edición de la publicación, charlamos con el Dr. Lluís Giner, presidente de la Conferencia de Decanos de las Facultades de Odontología de España (CRADO), quien nos ofrece su visión sobre el presente y futuro del panorama formativo odontológico.

Shutt erstock/LuckyStep
Gaceta Dental · N o 359 | Septiembre 2023

LA PUBLICACIÓN ALCANZA SU NOVENA EDICIÓN

Gaceta Dental lanza la nueva Guía de formación 2023-2024

la misma premisa de siempre: ayudar a los estudiantes recién titulados y a los profesionales en ejercicio a seguir creciendo y aprendiendo en un sector en constante evolución.

Con un diseño claro y renovado, la Guía cuenta con el poder de difusión de Gaceta Dental, medio de referencia del sector odontológico, que batió récords de audiencia con más de 3 millones de sesiones en 2022, y 25.000 ejemplares en papel. Además, está disponible en diferentes formatos y canales para facilitar la consulta y búsqueda: versión papel, digital y microsite.

Nueve ediciones avalan una publicación que se ha convertido, desde su nacimiento en 2015, en la herramienta de consulta de referencia para estudiantes y profesionales de la Odontología. Una guía práctica para ayudarte a encontrar el curso de postgrado o de formación continua que mejor se adapte a tus necesidades.

La novena edición de la Guía de formación Gaceta Dental se presenta este año con

Así, para aquellos que estén buscando aumentar sus competencias y puedan escoger la formación que mejor se adapte a sus necesidades y preferencias, esta Guía ofrece una amplia selección de programas formativos que se pueden realizar en España. Como cada año, entre los programas de postgrado, másteres y cursos de especialización que podrás consultar, figuran los ofertados por universidades, centros especializados, sociedades científicas, asociaciones, colegios profesionales y empresas, quienes, año tras año, siguen aportando su granito de arena para una formación odontológica de calidad. En definitiva, un amplio abanico de posibilidades para que quien esté buscando másteres, cursos y otros programas de formación, pueda elegir entre varias ofertas formativas.

¿CÓMO SE ESTRUCTURA LA GUÍA?

Co el objetivo de facilitar la búsqueda de los másteres y cursos de postgrado, y tratando de responder a las necesidades formativas de diversos colectivos del sector dental, esta Guía tiene una estructura funcional y muy práctica, abordando y dividiéndose en tres áreas:

90 Gaceta Dental · N o 359 | Septiembre 2023
ESPECIAL FORMACIÓN. GUÍA GD 23/24
Novena edición de la Guía de formación Gaceta Dental.

1. Odontología y Estomatología.

2. Prótesis Dental.

3. Higiene Bucodental.

En cada una de ellas, además de información práctica, se incluye una selección de programas formativos para quienes han decidido apostar por la especialización, el reciclaje y el desarrollo profesional.

INFORMACIÓN DE INTERÉS PARA DIFERENTES PERFILES ODONTOLÓGICOS

En esta novena edición de la Guía de formación GD, entre los temas a tratar en la parte introductoria se incluyen: los diferentes tipos de títulos, las pistas y pautas para acertar con la elección del programa, los beneficios que aporta realizar un doctorado, las salidas profesionales que se abren una vez terminado el grado de Odontología, la importancia de la formación y el reciclaje profesional continuo, las habilidades y competencias fundamentales para una carrera profesional exitosa o las claves para emprender y montar tu propia clínica dental en un sector cada vez más competitivo.

Por su parte, los estudiantes y titulados de Prótesis Dental encontrarán linformación sobre los requisitos que solicitan en la actualidad los propietarios de laboratorios a los candidatos para incorporar a sus plantillas. Una información que les servirá para crear ese perfil ideal que aumente sus opciones de empleabilidad y de desarrollo profesional.

Y, para los alumnos y titulados de Higiene Dental, en esta ocasión hemos preguntado a profesionales y representantes del colectivo de dilatada experiencia hacia qué campos deben orientar su formación complementaria y continua para aumentar sus oportunidades laborales.

Además, como las páginas webs y perfiles de Redes Sociales son excelentes vías de información para estar al día en todo lo relacionado con la profesión, la Guía de formación GD 23/24 te ofrece algunas direcciones de interés para añadir a tus favoritos y algunas cuentas que deberías seguir para estar al día de todo lo que acontece en el sector dental.

¿DÓNDE ENCONTRAR LA GUÍA?

La versión print de la Guía se distribuye de forma gratuita en bibliotecas facultades de Odontología, centros de formación, clínicas, colegios y asociaciones profesionales. También se puede encontrar en congresos y simposios, además de en Expodental y en los eventos del sector en los que participa Gaceta Dental. Pero si no puedes acudir a ninguno de estos puntos o citas, la publicación está disponible en nuestra librería (https:// tienda.gacetadental.com/).

Además, recuerda que, siempre y en todo momento, podrás acceder a su versión digital y al microsite específico en nuestra web: https:// gacetadental.com/ formacion/.

91 Gaceta Dental · N o 359 | Septiembre 2023
Freepik_benzoix.
GUÍA GD 23/24. ESPECIAL FORMACIÓN

DR. LLUÍS GINER

Presidente de la Conferencia de Decanos de las Facultades de Odontología de España

«El futuro de la enseñanza odontológica, al igual que el de la propia profesión, lo veo apasionante», destaca el Dr. Lluís Giner en esta entrevista en la que abordamos con él los principales retos de presente y futuro a los que se enfrenta no solo la universidad española sino también una disciplina, como la Odontología, que no para de evolucionar.

92
Especial formación Gaceta Dental · N o 359 | Septiembre 2023

Dr. Giner, ¿cuáles son los temas que más ocupan y preocupan dentro de la Conferencia de Decanos de las Facultades de Odontología de España en el momento actual?

—En primer lugar, agradezco la oportunidad que me brinda esta entrevista al permitirme compartir las inquietudes de la Conferencia de Decanos con la profesión y trasladarles los temas en los que estamos trabajando para mejorar la formación de los futuros profesionales.

En cuanto a la pregunta, considero que habría que distinguir entre los temas inmediatos y los de futuro, aunque, en ambos casos, existen asuntos importantes, urgentes o ambos de forma simultánea.

Uno de los temas prioritarios está centrado en la seguridad de los pacientes y, por tanto, la calidad y excelencia de la formación. Por este motivo, estamos trabajando en la actualización de los programas, teniendo muy en cuenta las sugerencias del Consejo General de Dentistas y las sociedades científicas.

Otro tema importante es nuestra participación en el desarrollo de la Ley de Especialidades y cómo podemos garantizar, desde las universidades, la calidad de la formación en este ámbito.

También nos ocupamos e intentamos garantizar la máxima objetividad, transparencia y atención en el proceso de los exámenes de homologación de los títulos extranjeros de Odontología, ya que este tema afecta a muchas personas y en él están implicadas todas las facultades de Odontología del país.

Además, es importante mencionar la formación en nuevas terapias, como los microfillers, así como la formación en valores de los alumnos (soft skills) y la movilidad universitaria, entre otros temas.

—¿Están los planes de estudio en el campo odontológico de la universidad española adaptados a la realidad actual del sector dental?

—El conocimiento cambia constantemente y debemos adaptar los temarios a estos cambios. En la Conferencia de Decanos, contamos con una comisión encargada de este tema.

Sin embargo, no podemos olvidar que es una profesión regulada por una normativa europea desde el 2005 (Directiva Europea 2005/36/CE). En aquel momento, y bajo la brillante tutela del Dr. Mariano Sanz, elaboramos el Libro Blanco de la Odontología, que estableció las directrices para los planes de estudio de las universidades españolas. Esto dio lugar a la Orden CIN de 2008, en la cual se basan actualmente todos los planes de estudio de Odontología en el país. Dicha norma europea sigue vigente en la actualidad, lo que implica que los cambios que debemos realizar se ajustan a las directrices marcadas por la norma de 2005 y la ley CIN de 2008. No obstante, y en general, el marco es amplio, lo que permite, hasta ahora, adaptar el nuevo conocimiento a los planes de estudio. Tanto desde la FEDCAR (Federation of European Dental Competent Authorities and Regulator), cuya presidencia este año la ostenta el Consejo General de Dentistas de España, con quienes colaboramos como Conferencia de Decanos, como desde la ADEE (Association for Dental Education in Europe), con la cual también colaboramos las facultades de Odontología españolas, hemos solicitado a la Comisión Europea que se evalúe y se adapte la directiva europea a los nuevos tiempos y necesidades.

—La digitalización en la práctica clínica es creciente. ¿Responden las universidades a esta realidad? ¿Hay muchas diferencias entre centros?

—En este aspecto, todas las facultades de Odontología del país están incorporando los

93 Gaceta Dental · N o 359 | Septiembre 2023
ESPECIAL FORMACIÓN
«Respecto al futuro proceso formativo en las especialidades oficiales, considero que la universidad debe desempeñar un papel predominante»
Dr. Lluís Giner.

procesos de digitalización en la práctica clínica. Sin embargo, existen diferencias entre unas y otras. En algunas facultades, el proceso se enfoca principalmente en los programas de postgrado, mientras que en otras también se ha implementado en los programas de grado. En el caso de la UIC-Barcelona -el Dr. Giner es decano de la Facultad de Odontología del centro-, en las últimas cuatro promociones, todos los alumnos de grado finalizan con competencias en toma de impresiones digitales y cementado de prótesis mecanizadas por CAD/ CAM.

Además, ofrecemos un máster en Odontología digital y realizamos una importante actividad de investigación en este ámbito. También, desde hace unos años, la Universidad Complutense de Madrid (UCM) dispone de un máster en Odontología digital, entre otras universidades.

introduce cambios importantes en la forma de evaluar los conocimientos del alumnado y en la distribución de la docencia de algunas asignaturas. Esto implicará el aumento de la carga en materias básicas, lo que requerirá una redistribución de los créditos en toda la titulación.

Además, este RD propone directrices para ordenar la formación continuada y dotarla de una mayor transparencia, ya que actualmente existen programas, principalmente no universitarios, que bajo la misma denominación ofrecen contenidos y calidades muy diferentes. Este es otro reto que debemos abordar en los próximos meses.

—¿Qué papel tienen las empresas del sector en la formación universitaria del futuro dentista?

—Son muchos y variados los retos a los que se enfrenta la universidad española para mantenerse actualizada. Uno de los más importantes es la adaptación curricular a los nuevos conocimientos.

Recientemente se publicó el RD 822/2021, que

—La Odontología es, quizás, una de las ramas de las Ciencias de la Salud que requiere el mayor número de materiales e instrumental, dado que a menudo son necesarias intervenciones quirúrgicas o restauradoras en los pacientes. Por tanto, la relación entre la universidad y la industria es fundamental, y así lo entendemos todas las universidades y el sector de la industria, tanto española como internacional,

.—¿A qué retos se enfrenta la universidad española para «estar al día»?
94 Gaceta Dental · N o 359 | Septiembre 2023 ESPECIAL
Foto de familia de la X Edición de los Premios a la Excelencia en los estudios de Odontología que organiza la Conferencia de Decanos. Imagen: Gaceta Dental.
FORMACIÓN. Dr. Lluís Giner

por lo que es frecuente la colaboración en investigación y en la difusión del conocimiento. No obstante, en todos los programas que exista colaboración con la industria, que como he comentado, es fundamental para el avance de la Odontología, es importante que esta sea ordenada y transparente. Por último, desde la universidad podemos generar conocimiento mediante la investigación, lógicamente también en otros entornos, pero los únicos que pueden poner este conocimiento en manos de la profesión son las empresas de la industria, por lo que es fundamental la relación entre la universidad y la industria, así como la transferencia de conocimiento en este entorno.

—Cada vez es más frecuente ver a facultades de Odontología españolas ocupando posiciones de privilegio en los rankings internacionales más destacados. Desde su perspectiva, ¿cuál cree que es el nivel de la formación que se imparte en los centros españoles? ¿Qué sensaciones tienen de los Erasmus o alumnos de intercambio que visitan nuestras facultades?

—Es una alegría que cada vez es más frecuente ver a facultades de Odontología españolas ocupando posiciones privilegiadas en los rankings internacionales más destacados. Desde mi perspectiva, considero que el nivel de formación que se imparte en los centros españoles es de alta calidad y que estamos comprometidos con el avance de la formación en Odontología a nivel internacional. El hecho de que cada año aparezcan nuevas facultades españolas en los rankings internacionales, o que las existentes mejoremos la posición, es motivo de alegría y ratifica la excelencia de la formación en las facultades de Odontología en España.

En cuanto a los alumnos Erasmus o de intercambio que visitan nuestras facultades, tenemos una experiencia muy positiva. Recibimos muchas solicitudes de intercambio tanto de estudiantes europeos a través del programa Erasmus, como de alumnos de países no comunitarios mediante intercambios bilaterales. Esta experiencia es enriquecedora

tanto para los estudiantes que vienen como para nuestros propios alumnos, ya que les brinda la oportunidad de compartir experiencias tanto a nivel académico como personal, y les permite ver la profesión con una perspectiva más amplia.

Además, muchos de nuestros propios alumnos también solicitan tener estancias en facultades extranjeras. De hecho, en la reciente evaluación realizada por la Comisión Europea sobre los logros alcanzados en el marco del Espacio Europeo de Educación Superior en relación a la Odontología, se ha constatado que se han cumplido e, incluso, superado los objetivos de movilidad estudiantil. Esto demuestra el interés y la participación activa de los estudiantes españoles en programas de intercambio, contribuyendo a su formación integral.

—Seguimos a la cola de Europa en materia de especialidades oficiales, ¿hay algún avance significativo al respecto? ¿Qué cree que supondría la creación de las mismas? ¿Se vería «amenazada» la actual y abundante oferta de postgrado actual?

—Es cierto que estamos rezagados en comparación con otros países de Europa en cuanto a la regulación de especialidades oficiales. De hecho, España es el único país europeo que no cuenta con una regulación oficial en este ámbito.

Es un tema complejo que llevamos años intentando resolver. Existe consenso entre las instituciones, como la Conferencia de Decanos, el Consejo General de Dentistas y

96 Gaceta Dental · N o 359 | Septiembre 2023 ESPECIAL FORMACIÓN.
«La simulación virtual ha supuesto un avance muy significativo en la formación odontológica»
Dr. Lluís Giner

las sociedades científicas, en la importancia y necesidad de abordar este tema, y pienso que también la mayoría de la profesión está de acuerdo.

Sin embargo, es un desafío debido a que la regulación de las especialidades sanitarias generalmente está vinculada a un sistema sanitario público, en hospitales y centros con

características diferentes a la prestación de servicios odontológicos en nuestro país.

A pesar de ello, continuamos trabajando en colaboración con las autoridades competentes para encontrar la manera de reconocer oficialmente las especialidades. En la Conferencia de Decanos tenemos una comisión específica para este tema que coordina el Dr. José Luis Gutiérrez.

Aunque no exista una Ley de Especialidades, las universidades españolas brindan una formación de alta calidad en este aspecto a través de sus másteres, muchos de los cuales tienen una duración de tres años a tiempo completo, como exige la normativa europea, estando algunos reconocidos oficialmente por sociedades científicas europeas. Estos títulos son también reconocidos, en la mayoría de los casos, como especialidades en otros países, tanto de la Unión Europea como fuera de ella.

En cuanto al futuro proceso formativo de las especialidades, considero que la universidad debe desempeñar un papel predominante. Como mencioné anteriormente, ya estamos ofreciendo formación en especialidades de manera no vinculada a especialidades oficiales. Aunque la integración puede resultar compleja y requerirá trabajo en la implementación, creo que es posible lograr una «convivencia» entre la formación en especialidades y los másteres actuales. También consideramos que es importante establecer un orden, especialmente para garantizar la seguridad y transparencia para los pacientes, teniendo en cuenta que, en la actualidad, algunos programas, especialmente aquellos que no son universitarios, al compartir denominaciones similares, pueden generar confusión en los pacientes en cuanto a la formación del profesional.

—Por otro lado, en España, a diferencia de algunos países de Europa, la formación continuada en Odontología sigue sin ser obligatoria. ¿En qué punto nos encontramos actualmente en relación a este tema? ¿Qué beneficios tendría la implantación de la formación continuada obligatoria, tanto para los profesionales como para los pacientes?

«Los centros españoles estamos comprometidos con el avance de la formación en Odontología a nivel internacional, destaca el Dr. Lluís Giner». Imagen: cedida por el Dr. Giner.
97 Gaceta Dental · N o 359 | Septiembre 2023
«Los alumnos de hoy en día están conectados con el mundo y esta perspectiva globalizada les brinda una formación más completa y enriquecedora»
FORMACIÓN
Dr. Lluís Giner. ESPECIAL

—Los profesionales responsables son conscientes de la importancia de seguir formándose de manera continua, ya que el conocimiento en Odontología evoluciona rápidamente y es necesario adaptarse a esos cambios en beneficio de los pacientes. Me consta que muchos profesionales se esfuerzan diariamente en mejorar su formación.

Aunque en España no sea obligatoria, en la actualidad existe una gran conciencia por parte de los profesionales sobre esta necesidad de formarse, lo que explica el alto nivel de la Odontología en nuestro país.

La implantación de la formación continuada obligatoria traería varios beneficios tanto para los profesionales como para los pacientes. En primer lugar, aseguraría que los profesionales se mantuvieran actualizados en los avances científicos y tecnológicos de la Odontología, lo cual garantizaría una atención de mayor calidad y más actualizada para los pacientes, transmitiéndoles una mayor confianza.

Además, la formación continuada obligatoria fomentaría una cultura de mejora constante

en la profesión. Los profesionales estarían motivados en buscar nuevas técnicas, procedimientos y conocimientos para ofrecer los mejores tratamientos posibles. Esto se traduciría en una mejor atención y resultados más satisfactorios para los pacientes. Asimismo, la formación continuada obligatoria contribuiría a la estandarización de la práctica odontológica, promoviendo la adopción de las mejores prácticas y protocolos basados en la evidencia científica. Esto garantizaría una mayor uniformidad en la calidad de la atención odontológica en todo el país.

En resumen, la implantación de la formación continuada obligatoria en Odontología en España sería beneficiosa tanto para los profesionales, al asegurar su actualización y promover la mejora continua, como para los pacientes, al garantizar una atención de mayor calidad y basada en los últimos avances científicos.

—Volviendo a la universidad, ¿cómo ha cambiado la metodología de enseñanza en

98 Gaceta Dental · N o 359 | Septiembre 2023
El Dr. José Vicente Bagán, padrino de la promoción de premiados; el Dr. Lluís Giner y Luis Garralda, presidente de Fenin Dental, durante la X Edición de los Premios a la Excelencia en los estudios de Odontología. Imagen: Gaceta Dental. ESPECIAL FORMACIÓN. Dr. Lluís Giner

los últimos años? La reciente pandemia ¿ha marcado un antes o un después?

—La pandemia nos obligó a cambiar en pocas horas o días la forma en que impartíamos la docencia y cómo la recibían los alumnos. Nos adaptamos rápidamente y pienso que logramos superar los desafíos con un muy buen nivel. También es cierto que en España todas las facultades iniciamos rápidamente la vuelta a la presencialidad controlada, como servicio esencial y esto nos permitió seguir adelante con buenos resultados.

Estos meses en que dispusimos tan solo de las metodologías de enseñanza online nos enseñaron que estas herramientas podrían ser más útiles de lo que pensábamos hasta entonces, de manera que lo que aprendimos durante ese tiempo nos está ayudando actualmente a complementar la enseñanza presencial. Otro aspecto importante es que, independientemente de las metodologías online, la forma de enseñar ha experimentado muchos cambios en los últimos años. Un ejemplo destacado es la simulación virtual,

EL FUTURO DE LA ENSEÑANZA ODONTOLÓGICA

«Imagino el futuro de la enseñanza odontológica como algo apasionante, al igual que la propia profesión. Las nuevas metodologías docentes que estamos implementando no solo brindan mayor seguridad y conocimiento a los alumnos, sino que también permiten experiencias colaborativas con otros centros que antes eran impensables. La formación COIL (Collaborative Online International Learning), junto con la movilidad presencial, proporciona a los alumnos y profesores una visión globalizada de la Odontología en el mundo. Los alumnos de hoy en día están conectados con el mundo y esta perspectiva globalizada les brinda una formación más completa y enriquecedora», señala el Dr. Lluís Giner. Sobre el cambio de tendencia en el futuro dentista en los últimos años, para el Dr. Giner, «la Odontología ha sido tradicionalmente una profesión muy vocacional, y esta característica se ha intensificado en los últimos tiempos. Cada vez más, los alumnos llegan a la facultad con un conocimiento previo de la profesión y una seguridad firme de que desean estudiar Odontología. Además, es destacable que en la actualidad las facultades de Odontología en España reciben alumnos de diversas nacionalidades. Esta tendencia de diversidad cultural en las aulas es una realidad presente y se espera que sea una característica cada vez más común en el futuro».

A todos los que han elegido esta área del conocimiento, les da un consejo: «En la actualidad, la profesión odontológica es muy amplia y abarca diferentes áreas de conocimiento. Es importante que los estudiantes reflexionen cuidadosamente sobre sus intereses y pasiones, y consideren qué aspectos de la Odontología les atraen más. Pueden optar por convertirse en odontólogos generales, muy necesarios para el paciente, ya que también desempeñan un papel fundamental al coordinar el trabajo de diversos especialistas, o pueden especializarse en una rama específica de la Odontología. Es importante recordar que no deben apresurarse en la toma de decisiones, sino que deben asegurarse de elegir el camino que más les entusiasme. Si lo hacen así, serán buenos profesionales o muy buenos en aquello que realmente les entusiasme, y además se sentirán plenamente realizados profesionalmente y personalmente».

Gaceta Dental · N o 359 | Septiembre 2023 ESPECIAL FORMACIÓN. Dr. Lluís Giner 100

que nos permite trasladar las patologías de los pacientes a un entorno virtual y realizar preparaciones quirúrgicas o restaurativas con mayor seguridad antes de tratar al paciente de manera directa. Esto ha supuesto un avance significativo en la enseñanza odontológica. En resumen, la pandemia nos impulsó a adaptarnos rápidamente y encontrar nuevas formas de enseñanza. Aunque hemos retomado la presencialidad en la mayoría de los casos, hemos aprendido a aprovechar las metodologías online y a utilizar herramientas como la simulación virtual para mejorar la calidad de la educación odontológica.

—Pero ¿es factible la formación online en el campo de la Odontología o hablamos de una disciplina eminentemente práctica?

—La formación en el campo de la Odontología es predominantemente práctica. Como en cualquier disciplina de Ciencias de la Salud, se requiere un enfoque exhaustivo que involucra diagnóstico y planificación, lo cual puede abordarse en parte mediante la formación online. Sin embargo, la profesión implica intervenir directamente en el paciente en numerosas situaciones, lo que exige habilidades prácticas y conocimientos en diversas técnicas y manejo de materiales. Estos aspectos son difíciles de adquirir exclusivamente a través de la formación online.

En mi opinión, lo ideal es combinar ambas modalidades de formación, ya que es importante llegar a las sesiones presenciales con una base sólida obtenida online para aprovechar al máximo las prácticas. De hecho, en nuestra facultad, en algunas asignaturas, los alumnos cuentan con una guía online y son evaluados de manera virtual antes de acudir a las sesiones prácticas en el laboratorio.

En resumen, si bien la formación online puede proporcionar una base teórica sólida, así como ciertos aspectos de la formación en Odontología, es esencial complementarla con actividades prácticas y experiencia directa con pacientes para adquirir las habilidades necesarias en esta disciplina.

—¿Cuáles son las señas de identidad de una formación de calidad?

—Actualmente tenemos muchos indicadores ranking en muchos apartados, y esto nos permite de alguna manera tener más datos de cómo se está trabajando en una institución, pero al final pienso que la opinión de los alumnos que han pasado por un programa o facultad es crucial para evaluar la calidad de la docencia. La satisfacción de los alumnos y su percepción de la formación recibida son indicadores confiables de la calidad de la enseñanza. ●

ESPECIAL FORMACIÓN 101
Dr. Lluís Giner.

Aoralscan3sincables.

¡Conunaautonomíadehasta2

horasdeescaneocontinuo!

¡NUEVOS ¡NUEVOS LANZAMIENTOS! LANZAMIENTOS! AoralScan3 Wireless Ahoratodalapotenciade
@scannice Scannice @scannice +34678212819+34956302371 ¡SOLICITATUDEMO!
Visítanos: info@target3d.com C/delaIndustria10nave1 11407Jerezdelafrontera MetiSmile Escánerfacial Capturaentansolo10 segundostodalainformación paracrearunmodelo3Dfacial. ¡Alineaciónautomáticadelos datosfacialeseintraorales! www.scannice.com

Emprendimiento en Odontología, ¿por dónde empezar?

El miedo al fracaso o los problemas de financiación son, entre muchos otros, algunos de los motivos que frenan a los jóvenes a emprender. Y es que, en un sector donde la evolución es constante, ¿por dónde empezar? En este reportaje, incluido dentro de la Guía de formación de Gaceta Dental 2022/2023 que está a punto de salir, te damos las claves para que, sin miedo, te animes a emprender y a montar tu propia clínica dental.

No es un problema único en Odontología, sino que se da en otras profesiones y sectores laborales y económicos: no hay emprendedores. Las razones son muchas y variadas, pero las más destacables son la búsqueda de la comodidad y seguridad, el miedo al fracaso y ruina, problemas de financiación, la escasa formación, y la falta de pasión por emprender y ser el dueño de tu propio negocio.

Ante esta circunstancia surge la problemática de la mercantilización

de la profesión, ya que cada vez son más las clínicas que están en manos de empresas, fondos de inversión y seguros médicos, y no de profesionales de la Odontología. ¿Se puede cambiar esta tendencia? ¿Es realmente tan complicado montar una clínica? ¿Es posible emprender en este sector sin morir en el intento?

Es un hecho comprobado: «Los jóvenes no tienen ningún interés por hacerse empresarios, -explica el Dr. Antonio Montero, presidente del Ilustre Colegio Oficial de Odontólogos y Estomatólogos de la Ia Región (COEM)-. Prefieren trabajar en

104
A fondo Gaceta Dental · N o 359 | Septiembre 2023 ESPECIAL FORMACIÓN. Emprendimiento
Sonsoles García Garrido
105
Shutterstock_Elnur. Gaceta Dental · N o 359 | Septiembre 2023 Emprendimiento. ESPECIAL FORMACIÓN
¿Ya no sueñan los recién graduados con ser sus propios jefes?

varias clínicas, cobrar su dinero y no tener que preocuparse de todo lo que rodea y supone montar una clínica dental: temas de burocracia, autorizaciones, gastos, impuestos, seguros, equipamiento, inversión, equipo, bajas de personal, organizar agendas… Todo esto hace que sea muy difícil que la gente joven se quiera meter en ello».

La valoración del presidente del Colegio de Dentistas de Cantabria no es muy diferente. Para el Dr. José del Piñal «hoy en día, la gente joven, no solo en el sector de la Odontología, tiene otra mentalidad distinta a la de generaciones anteriores que hemos trabajado de sol a sol. Ahora, los profesionales quieren trabajar hasta las tres de la tarde y dedicar el resto del día a la familia y hobbies, por lo que una gran mayoría prefiere estar asalariado y evitarse preocupaciones de nóminas y gastos. O trabajar

en varias clínicas y no tener más responsabilidad que la profesional con el paciente, como ocurre con los especialistas en ortodoncia, implantología, etc».

En Cantabria, al escaso emprendimiento se une el boom de jubilaciones de dentistas que después de años de trabajo y de tener una clientela fija de pacientes, ahora no encuentran relevo generacional para sus clínicas. «Estamos notando -explica el Dr. Del Piñal-, que no se abren clínicas nuevas, solo aquellas que pertenecen a cadenas o compañías de seguros. De este modo, las clínicas personales y pequeñas están desapareciendo y esto de que desaparezca el dentista de familia, y que toda la asistencia odontológica en Cantabria esté en manos de empresarios y compañías de seguros, no nos agrada porque creo que debe haber variedad de oferta asistencial».

AYUDA DESDE LOS COLEGIOS PROFESIONALES

Ante estas circunstancias y con el fin de facilitar el relevo de las clínicas cuyos dueños quieren jubilarse a aquellos que quieren emprender, el Colegio de Dentistas de Cantabria ha creado el proyecto «Clínica Abierta». Este proyecto pretende que las clínicas no se cierren a pesar de las jubilaciones y, de este modo, «ayudar a unos y otros, es decir, facilitar las cosas a los que quieren empezar y a los que quieren dejar de trabajar en breve. El problema está en que hay más profesionales que quieren vender o traspasar su clínica que aquellos que quieren emprender y empezar a trabajar por su cuenta. No obstante, y a pesar de las facilidades, nos está costando bastante llegar al entendimiento entre unos y otros. Pero, no es por un tema económico,

106
Gaceta Dental · N o 359 | Septiembre 2023 ESPECIAL FORMACIÓN.
El Dr. Antonio Montero, presidente del COEM.
Emprendimiento

EXPADENT APP

Hemos mejorado nuestro sistema de gestión, y ahora cualquiera de nuestros clientes podrán realizar los pedidos directamente desde nuestra aplicación, intuitivamente.

También permite hacer un seguimiento total del proceso de fabricación y de envío del pedido realizado.

ENVÍANOS TUS IMPRESIONES DIGITALES: LÍDERES EN LA ELABORACIÓN DE PRÓTESIS DENTALES Corona de zirconio 59,90 € 49,90 € Antes Ahora  +34 910 059 139  info@expadent.com www.expadent.com *Las fotografías de este anuncio corresponden a trabajos realizados en nuestro laboratorio
DISPONIBLE
YA
AHORA QUE TODO SUBE, NOSOTROS BAJAMOS PRECIOS

ya que los precios de las clínicas están baratos, precisamente porque es difícil vender y hay mucha oferta y poca demanda. El motivo es que a la gente le asusta emprender, hacerse empresario y llevar el peso y la responsabilidad de la clínica», argumenta el Dr. José del Piñal. Además del proyecto «Clínica Abierta», en el Colegio de Dentistas de Cantabria también han creado un gabinete de asesoría tanto fiscal como laboral para los emprendedores. «Les ayudamos con los créditos en los bancos y con todo el papeleo para facilitar estas gestiones y que vean que tampoco es nada difícil montarse una clínica y, menos aún, una clínica que ya está en marcha. También hemos realizado charlas de profesionales que llevamos ya unos cuantos años trabajando y les explicamos nuestras experiencias para animarles. Les ayudamos en

todo lo que podemos, pero está costando…», señala el Dr. Del Piñal. En este sentido, el Dr. Antonio Montero comenta que «desde el COEM estamos dando todo tipo de facilidades en cuanto al tema burocrático a la hora de montar una clínica. También estamos planteando dar cursos de lo que hay que hacer para montar la clínica porque al principio todo te parece un mundo. Pero no tenemos la sensación de que en Madrid haya necesidad de dar esta formación y de que se abran nuevas consultas, ya que actualmente hay demasiadas clínicas. En Madrid, el problema que tenemos es la mercantilización de nuestro sector. Hay un montón de clínicas creadas por empresas que se nutren de dentistas que no tienen que hacer la inversión. Entiendo las dos vertientes, el de aquel que no se quiere arriesgar, y prefiere trabajar lo justo e irse a casa; y, por supuesto, el de aquel que quiere montar su propia clínica. Pero la sensación que tenemos es que cada vez hay menos gente joven que quiere emprender».

EL PERFIL DEL EMPRENDEDOR EN ODONTOLOGÍA

Son pocos los emprendedores en el sector, pero ¿cuál es el perfil tipo? El Dr. Antonio Montero tiene claro que el perfil del emprendedor en Madrid más habitual es el de un profesional cuyos padres están a punto de jubilarse y decide llevar la clínica. «Pero gente joven que se junta con 3 o 4 socios y montan una clínica… esto se da muy poco. Entre otras cuestiones porque en Madrid es muy complicado montar una clínica desde cero, ya que hay consultas por todos lados. Así que entiendo que es un riesgo hacer una gran inversión sin tener asegurados los pacientes».

108
Gaceta Dental · N o 359 | Septiembre 2023 ESPECIAL FORMACIÓN.
El Dr. José del Piñal, presidente del Colegio de Dentistas de Cantabria.
Emprendimiento

Para el Dr. José del Piñal «hay todo tipo de perfiles, pero la mayoría de los emprendedores son profesionales que ya llevan unos años trabajando en varias clínicas para otros profesionales y ya conocen bien la profesión. En cuanto a los más jóvenes recién egresados, estos no tienen entre sus prioridades emprender, salvo que sean hijos de otro profesional. Ahora, los más jóvenes necesitan un tiempo antes de emprender para seguir formándose, ahorrar, adquirir experiencia. Sin embargo, en nuestra época, o te montabas la clínica o te quedabas en el paro, no había más opciones».

EMPRENDER CON PASIÓN

«Además de la formación, dinero, plan de negocio, equipo, etc. sobre todo, es fundamental tener ilusión, tener pasión por tener tu propia clínica donde poder tener los materiales que quieras, donde hacer el horario que te dé la gana, donde puedas cuidar de los pacientes como a ti te gusta y que este trabajo no sea solo la forma de ganar dinero, sino de dar un servicio sanitario de calidad, humanidad y con pasión», así define su propio emprendimiento el Dr. David Lara, que a finales de 2019 puso en marcha su propia clínica, junto a su mujer, la Dra. Paloma Ochoa, en la ciudad de Logroño.

Ambos decidieron emprender cuando llevaban más de 15 años de experiencia en varias clínicas privadas y franquicias de distintas localidades donde habían adquirido todo tipo de experiencias «no solo del trabajo en boca, sino también de lo que quieres hacer y no quieres hacer en tu clínica y, aunque no tengas una formación empresarial, vas cogiendo ideas de lo que va pasando a nivel de gestión y de gabinete», explica el Dr. Lara.

Su proyecto no solo era formar una clínica, sino, sobre todo, una familia, algo complicado teniendo en cuenta que de lunes a viernes el Dr. Lara estaba fuera de casa atendiendo en clínicas de Vitoria, Castro Urdiales, Bilbao, Pamplona y Soria. «No queríamos tener hijos sin padres, así que, al ser los dos dentistas y compartir una misma ilusión, decidimos poner en marcha nuestra clínica».

Su emprendimiento, como el de otros tantos, no ha sido fácil. Además de la llegada de la pandemia de Covid-19 solo unos meses después de la inauguración, el Dr. Lara tuvo que aprender sobre la marcha los conocimientos básicos sobre gestión y formación financiera. «En la universidad son escasas o nulas, como fue en mi caso, las asignaturas que nos enseñan sobre el emprendimiento,

109
Gaceta Dental · N o 359 | Septiembre 2023 Emprendimiento.
FORMACIÓN
El Dr. David Lara, director general de Lara y Ochoa Clínica Dental.
ESPECIAL

la gestión empresarial y el liderazgo en un equipo de trabajo». El Dr. Lara también adolece de las pocas ayudas o subvenciones que ha recibido: «mucho se oye, y queda muy bonito en las comunidades que dicen “ayudas a jóvenes emprendedores”, pero esto no es verdad, ponen mil trabas, exigen cosas imposibles, y no entregan ni un euro». «Luego vieron problemas que ni siquiera sabía que existían, como problemas en el equipo, bajas laborales, impuestos que no sabes de dónde vienen, intereses de los préstamos y un montón de quebraderos de cabeza para que la gente conozca y entre en la clínica, como la palabra marketing... Pero todo esto se compensa con un sueño, con una ilusión, con una pasión, con una forma de vida orientada no solo a ser una vida de esclavitud, sino como una forma de trabajo ilusionante, de tratar bien a tus pacientes para que la clínica se llene y te sientas satisfecho por el trabajo realizado y, como consecuencia, ya vendrá el dinero. Hay quienes montan una clínica

asociándose a unos amigos con fines puramente económicos, o el típico caso del padre que monta por inercia una clínica a su hijo, pero en ambos casos si no tienen ilusión y ganas de trabajar en un proyecto propio... fracasarán», explica el Dr. David Lara. También el Dr. Antonio Montero desmitifica la seguridad de ser un asalariado: «Igual se están equivocando porque, a largo plazo, siempre es más seguro el montar tu propio negocio que estar trabajando para alguien que cualquier día se le cruzan los cables y te dice que no vuelvas». Del mismo modo, el Dr. José del Piñal argumenta las ventajas de tener consulta propia: «el hecho de ser tu propio jefe, tomar tus propias decisiones en todo (en materiales, tipo de tratamientos, precios, etc.) y tener tu propia clínica da muchas más satisfacciones que ser un asalariado. Y si coges una clínica que ya funciona, que puedes comprobar los números, entonces apenas existen riesgos, así que no entiendo bien esta reticencia por emprender que tienen muchos compañeros», concluye el Dr. del Piñal. ●

DIEZ CONSEJOS PARA EMPRENDER EN ODONTOLOGÍA

1. Formación y aprendizaje continuo. Debido a la innovación y a la incorporación de nuevas técnicas y tecnologías, es esencial formarse, especializarse y adaptarse a los cambios con rapidez. Además, la formación es también una manera de distinguirse o diferenciarse del resto de profesionales. No dejes de aprender nunca, y cada día podrás innovar más en tu emprendimiento.

2. Trabaja y adquiere competencias antes de emprender. Es muy conveniente trabajar en otras clínicas para adquirir experiencia y soltura, no solo en el aspecto clínico, sino también en la gestión como empresario.

3. Busca posibles socios. Una posibilidad para emprender con más facilidad y apoyo es contar con otro colega que desarrolle una especialidad diferente, y así poder crear una clínica que reúna distintas especialidades.

4. Controla los gastos. El negocio de clínica dental no es solo el gasto del local en alquiler o compra, sino todo el equipamiento, personal, etc. Es por eso que, aunque tengas

110
Gaceta Dental · N o 359 | Septiembre 2023
ESPECIAL FORMACIÓN. Emprendimiento

ahorros, no se aconseja descapitalizarte y pagar todo de tu bolsillo, ya que no sabes cómo de bien va a ir tu negocio. Es aconsejable recurrir a bancos o asociarte con compañeros para repartir gastos.

5. Delega. Es importante tener en cuenta que un solo dentista no va a poder encargarse de todo, es decir, de la parte clínica y de la parte de la gestión empresarial. Por eso es fundamental contratar y delegar. De este modo, contar con un gestor es fundamental, al igual que con una empresa que se encargue de gestionar todo el marketing.

6. No te concentres solo en el dinero, piensa en el cliente. No conviene que te enfoques en el hecho de generar beneficio como fin único y por encima de todo lo demás. Si estableces como eje principal de tu empresa la creación de un servicio y de una atención que realmente responda a las necesidades de tus pacientes, habrás dado con la clave. Lo demás viene rodado, y en cuestión de tiempo la demanda de pacientes responderá a esa oferta de calidad que ofreces.

7. Encuentra tu valor diferencial. Como dentista, debes buscar una idea de emprendimiento que ofrezca algo diferencial, que aporte un enfoque nuevo y cubra las necesidades de tus futuros pacientes. Pero no te quedes con la idea inicial, tu negocio puede ser el comienzo de una vida de innovación y constante exploración.

8. Siéntete orgulloso de lo que haces y con quién lo haces. Puesto que vas dedicar gran parte de tu vida a tu proyecto, debes sentirte bien contigo mismo y con quienes te rodean y acompañan en este proyecto. A fin de cuentas, tienes suerte de hacer aquello que tanto te gusta, ¡disfrútalo!

9. Sé valiente. En este país existe miedo a emprender. La mayoría de las personas, cuando se plantean montar un negocio, piensan más en lo que pueden perder que en todo lo que pueden ganar. Y eso que hace que muchas veces desistan antes de intentarlo.

10. Si lo tienes claro, hazlo. No esperes que los demás te apoyen o vean tu proyecto tan bueno, bonito o viable como tú piensas. Escucha la experiencia de otros profesionales, pero no pierdas el tiempo ni la oportunidad, y recuerda que la clave está en la tenacidad y constancia.

111
Emprendimiento. ESPECIAL FORMACIÓN

MARCIAL HERNÁNDEZ

Experto en Gestión Dental

Hoy, quien firma habitualmente estas páginas desde hace años, es el protagonista de la sección. Y es que más de treinta años de bagaje a sus espaldas en el campo de la gestión dental, le convierten, además de en pionero, en referente de este campo antiguamente olvidado y hoy tan necesario para las clínicas.

Charlamos con el alma mater de VP20 Consultores sobre cómo ha ido profesionalizándose la gestión dental y a qué retos de futuro se enfrenta.

Tendencias
Gaceta Dental · N o 359 | Septiembre 2023

Se habla mucho de la gestión odontológica, pero ¿cómo la definiría?

—La gestión odontológica se refiere al conjunto de procesos y estrategias utilizados para administrar eficientemente una clínica dental. Esto implica la planificación y organización de recursos, la implementación de estrategias de marketing, la gestión del talento humano o la optimización de los procesos clínicos y administrativos, entre otros aspectos. En resumen, la gestión odontológica busca asegurar el éxito y la rentabilidad de la clínica, brindando un servicio de calidad a los pacientes.

la importancia de una correcta gestión. Cada vez más profesionales y propietarios de clínicas dentales comprenden que una gestión eficiente es fundamental para el éxito y la supervivencia en el mercado actual.

—¿Ha conseguido el campo de la gestión odontológica la suficiente profesionalización?

—Si bien ha habido avances significativos en la profesionalización de la gestión odontológica, considero que aún hay margen de mejora. Cada vez más profesionales buscan formarse y adquirir conocimientos en gestión, lo cual es muy positivo. Sin embargo, es necesario continuar promoviendo la educación y la especialización en este campo, así como fomentar la investigación y el intercambio de mejores prácticas. La gestión odontológica es un área en constante evolución, por lo que siempre hay oportunidades para seguir profesionalizándola y adaptándola a los nuevos desafíos del sector.

—Treinta años de experiencia en el campo de la gestión dan para mucho. Usted, como uno de los pioneros, ¿cómo ha visto el crecimiento de este campo en este largo periodo en el sector odontológico?

—Durante estos treinta años, he sido testigo de un crecimiento significativo en el campo de la gestión odontológica. En sus inicios, muchos dentistas se enfocaban principalmente en su trabajo clínico y dejaban de lado la gestión empresarial. Sin embargo, a medida que el sector dental se ha vuelto más competitivo y exigente, ha habido una mayor conciencia sobre

—Como ha mencionado, la gestión era una parcela un tanto olvidada. Los dentistas, centrados en su día a día clínico y de gabinete, no se preocupaban tanto de la faceta empresarial. ¿Qué beneficios le reporta al propietario de una clínica una correcta gestión? ¿Y al resto del equipo? —Una correcta gestión odontológica reporta numerosos beneficios tanto al propietario de la clínica como al resto del equipo. Para el propietario, una gestión eficiente permite aumentar la rentabilidad de la clínica, optimizar los recursos, mejorar la toma de decisiones estratégicas, fortalecer la imagen de marca, aumentar la satisfacción del paciente y fomentar el crecimiento del negocio.

En cuanto al equipo, una correcta gestión proporciona un entorno de trabajo más organizado, eficiente y motivador, lo cual contribuye a la satisfacción laboral, el desarrollo profesional y la retención del talento. Además, una buena gestión fomenta la colaboración y la comunicación efectiva entre los miembros del equipo, mejorando la calidad del servicio que se brinda a los pacientes.

113 Gestión. TENDENCIAS Gaceta Dental · N o 359 | Septiembre 2023
«Es necesario continuar promoviendo la educación y la especialización en gestión dental, así como fomentar la investigación y el intercambio de mejores prácticas

—Por su experiencia con los profesionales del sector dental, ¿toca desaprender en muchos casos o es más bien un dejarse ayudar? Entiendo que al principio usted tenía que buscar y ahora le vendrán a buscar.

—En todo este tiermpo, he encontrado una combinación de ambos casos. Por un lado, hay profesionales del sector dental dispuestos a desaprender ciertos hábitos o enfoques que puedan limitar su crecimiento o la eficiencia de su clínica. Estos profesionales están abiertos al aprendizaje, a cuestionar su forma de trabajo y a adoptar nuevas estrategias y enfoques. Por otro lado, también he visto una creciente demanda de ayuda por parte de profesionales que reconocen la importancia de la gestión y buscan asesoramiento para mejorar sus clínicas. Con el tiempo, se ha generado una mayor conciencia sobre la necesidad de contar con expertos en gestión odontológica, lo cual ha llevado a que más profesionales busquen

activamente apoyo y orientación en este ámbito.

—¿Qué casos a lo largo de su trayectoria como experto en gestión le han resultado más retadores?

—Sí me he encontrado con algunos desafíos. Casos retadores han sido clínicas dentales con problemas de rentabilidad y eficiencia en sus procesos, donde ha sido necesario identificar las áreas de mejora y diseñar estrategias para optimizar su rendimiento. También he trabajado con clínicas en situaciones de crisis o transición, como cambios de propiedad o reestructuraciones organizativas. Cada caso es único y requiere un enfoque personalizado, pero, en general, estos retos me han permitido aplicar mis conocimientos y experiencia para encontrar soluciones efectivas y lograr mejoras significativas en la gestión de las clínicas.

AUTOR DE DOS LIBROS DE GESTIÓN IMPRESCINDIBLES

«Sonrisoterapia » «La idea de escribir «Sonrisoterapia» surgió a partir de mi experiencia de más de 10.000 horas de trabajo en sesiones de coaching con directivos, odontólogos, empleados y propietarios, así como de mi trayectoria de tres décadas en consultoría empresarial. Este libro está dirigido a profesionales que deseen mejorar la productividad en sus clínicas dentales y a emprendedores en general. En él encontrarán una recopilación de consejos, reflexiones e ideas para optimizar el rendimiento de sus negocios, analizar fortalezas y valores, y mejorar la productividad de sus organizaciones».

«Con la boca abierta». «Tiene como objetivo mejorar la gestión, la productividad y los resultados de las clínicas dentales a través de conceptos y modelos propios del management . En el libro, abordo cuestiones fundamentales como la implementación de planes de comunicación y marketing, el análisis de herramientas para maximizar los resultados y garantizar la excelencia en la clínica dental. Es una guía práctica que ofrece consejos, técnicas y experiencias reales para aquellos profesionales y propietarios de clínicas dentales que deseen destacar en su entorno y brindar un servicio de máxima calidad a sus pacientes».

114 TENDENCIAS. Gestión Gaceta Dental · N o 359 | Septiembre 2023

—¿Cómo es un proceso de consultoría de inicio a fin en el campo de la gestión?

—Un proyecto de consultoría en el campo de la gestión dental generalmente sigue una serie de pasos clave. Aunque cada proyecto puede tener particularidades, a grandes rasgos, el proceso puede describirse de la siguiente manera:

• Análisis inicial: en esta etapa se realiza un análisis exhaustivo de la clínica dental, sus procesos, estructura organizativa, recursos disponibles y objetivos. Es importante comprender a fondo la situación actual y las necesidades específicas de la clínica para poder desarrollar un plan de acción adecuado.

• Diseño del plan de consultoría: una vez recopilada la información inicial, se diseña un plan de consultoría personalizado que aborde las áreas de mejora identificadas y los objetivos específicos de la clínica. Este plan establece las actividades, metodologías y plazos a seguir durante el proyecto.

• Implementación del plan: en esta etapa se lleva a cabo la implementación de las estrategias y acciones definidas en el plan de consultoría. Esto puede implicar el desarrollo de nuevos procesos, la capacitación del personal, la optimización de la gestión de recursos o la implementación de estrategias de marketing, entre otros aspectos clave.

• Seguimiento y evaluación: durante el proceso de implementación, se realiza un seguimiento continuo para evaluar los resultados y realizar ajustes, según sea necesario. Se establecen indicadores clave de desempeño para medir el progreso y se realizan análisis comparativos con respecto a los objetivos planteados.

• Cierre y entrega de resultados: una vez completada la implementación del plan de consultoría, se realiza un cierre del proyecto. En esta etapa, se entregan los resultados obtenidos, se realiza una evaluación final y se brindan recomendaciones para el mantenimiento y mejora continua de la gestión en la clínica dental. Es importante destacar que la consultoría en gestión dental es un proceso colaborativo en el que el consultor trabaja estrechamente con

«Una correcta gestión odontológica reporta numerosos beneficios tanto al propietario de la clínica como al resto del equipo», destaca Marcial Hernández.
115 Gestión. TENDENCIAS Gaceta Dental · N o 359 | Septiembre 2023
«No se trata solo de implementar algunas estrategias aisladas, sino de adoptar una filosofía empresarial integral que impregne toda la organización»

el equipo de la clínica para lograr los objetivos establecidos. La comunicación abierta, la transparencia y la participación activa de todos los involucrados son elementos clave para el éxito del proyecto de consultoría.

—Como consultor especializado en el sector dental, ¿podría compartir con nuestros lectores cuáles considera que son los pilares fundamentales para el éxito de una clínica dental?

—Desde mi perspectiva, considero que hay tres pilares fundamentales para el éxito de una clínica dental. En primer lugar, el coaching dental, que implica desarrollar las habilidades directivas de los responsables de las clínicas para mejorar la gestión de sus empresas y potenciar su talento. En segundo lugar, la gestión de la clínica en todas sus vertientes, no solo la asistencial, para obtener el máximo

rendimiento de los recursos y aumentar la rentabilidad. Y, por último, el marketing dental, que implica generar y transmitir un valor diferenciador.

—¿Qué relación se necesita establecer entre director clínico y consultor para que hablemos de un proyecto exitoso?

—Es fundamental establecer una relación sólida y colaborativa entre el director clínico y el consultor. Esta relación se basa en varios aspectos clave:

• Comunicación efectiva: la comunicación clara y abierta entre el director clínico y el consultor es fundamental. Ambas partes deben compartir información relevante, expresar sus expectativas y necesidades, y mantener una comunicación constante a lo largo del proyecto. Esto permite al consultor comprender plenamente los desafíos

116 TENDENCIAS. Gestión Gaceta Dental · N o 359 | Septiembre 2023
«La gestión odontológica es un área en constante evolución. Siempre hay oportunidades para seguir profesionalizándola y adaptándola a los nuevos desafíos del sector»

y objetivos de la clínica y adaptar sus estrategias en consecuencia.

• Transparencia: la transparencia en el intercambio de información es esencial para construir confianza mutua. Tanto el director clínico como el consultor deben ser honestos y transparentes en cuanto a los problemas y desafíos que enfrenta la clínica. Esto permite una evaluación precisa de la situación y facilita la identificación de soluciones efectivas.

• Involucración de todo el equipo: un proyecto de consultoría exitoso requiere la participación y el compromiso de todo el equipo de la clínica dental. Tanto el director clínico como el consultor deben fomentar la participación activa de los miembros del equipo, brindando oportunidades para expresar sus ideas, contribuir con su experiencia y trabajar juntos en la implementación de las estrategias propuestas.

• Objetivos compartidos: es importante que tanto el director clínico como el consultor tengan una visión compartida de los objetivos que se desean lograr con el proyecto. Esto implica establecer metas claras, medibles y alcanzables, y asegurarse de que ambas partes estén alineadas en cuanto a las expectativas y los resultados esperados.

• Aprendizaje mutuo: la relación entre el director clínico y el consultor debe ser enriquecedora para ambas partes. Deben estar dispuestos a aprender y a aprovechar los conocimientos y la experiencia del otro. Esto contribuye a un proceso de colaboración y crecimiento conjunto.

—Hablamos pues de un cambio de filosofía, un cambio en la forma de trabajar que necesita incorporarse a la cultura empresarial. ¿Es así? —Absolutamente. La gestión dental no se trata solo de implementar algunas estrategias aisladas, sino de adoptar una filosofía empresarial integral que impregne toda la organización. Es necesario que los profesionales del sector dental comprendan que la gestión eficiente es una parte fundamental de su trabajo y que su éxito clínico está estrechamente ligado a una gestión sólida. Esto implica un cambio en la forma de trabajar, una mentalidad abierta a la mejora continua y un compromiso de integrar prácticas de gestión en la cultura empresarial de la clínica.

—¿Es caro apostar por la gestión dental? —Apostar por la gestión dental no debe considerarse un gasto, sino más bien una inversión estratégica a largo plazo. Si bien puede

VPveinte Consultores es miembro del Club Excelencia en Gestión y del Club de Evaluadores Acreditados de la EFQM. Además, es la empresa líder en España en consultoría y marketing dental. Con más de 30 años de experiencia en el sector y, habiendo trabajado en más de 2.000 clínicas privadas con resultados más que satisfactorios, es sinónimo de éxito en la implantación de herramientas de gestión eficientes entre sus clientes. De todas las técnicas utilizadas, cabe destacar el Coaching Dental. Esta es una herramienta que lleva siendo utilizada en empresas de todos los ámbitos de EE.UU. desde hace más de 30 años. El coaching ofrece una amplia visión de dirección y gestión de la clínica a los responsables de la misma, haciendo que sus aptitudes mejoren y esto se traduzca en un aumento de la cartera de pacientes y de los beneficios de la clínica. Marcial Hernández Bustamante, director general de VPveinte Consultores, ha sido certificado por Bureau Veritas con nivel Platino en Servicios Profesionales de Coaching, siendo la consideración de mayor prestigio que existe en el mercado. Para más información: www.vp20.com

117 Gestión. TENDENCIAS Gaceta Dental · N o 359 | Septiembre 2023

haber costes asociados a la contratación de consultores, la formación y la implementación de estrategias de gestión, los beneficios que se obtienen superan con creces estos costes. Una gestión adecuada puede aumentar la rentabilidad de la clínica, mejorar la calidad del servicio, optimizar los recursos y fortalecer la posición competitiva en el mercado. En última instancia, una correcta gestión dental conduce a un retorno de la inversión significativo y contribuye al crecimiento y éxito sostenible de la clínica.

—¿Qué consejos les daría a los clínicos a este respecto?

—Mi consejo principal sería que los clínicos reconozcan la importancia de la gestión dental y busquen activamente conocimientos y herramientas en este campo. Es fundamental mantenerse actualizado sobre las mejores prácticas de gestión, participar en formaciones específicas y considerar la posibilidad de contar con el apoyo de expertos en consultoría dental. Además, es esencial fomentar una cultura de mejora continua en la clínica, promoviendo la participación y el compromiso de todo el equipo en la gestión eficiente de la organización. Finalmente, les instaría a adoptar un enfoque estratégico y a largo plazo hacia la gestión, comprendiendo que es un factor clave para el éxito y la sostenibilidad de su clínica.

—¿Queda mucho por hacer en el campo de la gestión dental? ¿Cómo visualiza su futuro? —Sin duda, queda mucho por hacer en el campo de la gestión dental. A medida que el sector continúa evolucionando y enfrentando nuevos desafíos, es necesario seguir desarrollando e innovando en estrategias de gestión adaptadas a las necesidades cambiantes. Algunos de los principales retos a los que nos enfrentamos incluyen la incorporación efectiva de la tecnología en la gestión, la mejora de la experiencia del paciente, la gestión del talento humano y el desarrollo de estrategias de marketing digital. Además, la gestión dental debe ser cada vez más inclusiva y sostenible, considerando aspectos como la responsabilidad

social y ambiental. En cuanto al futuro, visualizo un mayor reconocimiento de la importancia de la gestión dental y un crecimiento continuo en la profesionalización de este campo. La clave estará en adaptarnos a los cambios, aprovechar las oportunidades y seguir buscando la excelencia en la gestión para impulsar el éxito y la competitividad. ●

«Apostar por la gestión debe considerarse más que como un gasto como una inversión estratégica a largo plazo»
TENDENCIAS. Gestión Gaceta Dental · N o 359 | Septiembre 2023 118
El segundo libro de Marcial Hernández «Sonrisoterapia» ha alcanzado su segunda edición.

El arte de vender sonrisas

Curso Intensivo de Neuroventa de Tratamientos Dentales

“El Arte de Vender Sonrisas: Curso Intensivo de Neuroventa de Tratamientos Dentales” es un exclusivo curso diseñado para profesionales dentales que desean llevar sus habilidades comerciales al siguiente nivel. Durante cuatro días, sumérgete en el fascinante mundo de la neuroventa aplicada a la odontología, mientras te hospedas junto a otros participantes en un ambiente propicio para el intercambio de ideas y la interacción. Aprenderás a actuar como un consultor para tus pacientes, comprendiendo sus necesidades y recomendando soluciones personalizadas. Establecerás relaciones de confianza y adquirirás habilidades clave en la neuroventa. Además, tendrás la oportunidad de establecer conexiones valiosas con colegas de todo el país. ¡Asegura tu participación y conviértete en un maestro en la neuroventa de tratamientos dentales!

Santiago de Compostela

Del 28 septiembre al 1 octubre 2023

05

FORMACIÓN CONSCIENTE
INFORMACIÓN E INSCRIPCIONES 91
info@vp20.com vp20.com/elartedevendersonrisas
755 55

Diferénciate: aprovecha el potencial de YouTube para tu clínica dental

120 Gaceta Dental · N o 359 | Septiembre 2023 TENDENCIAS. Marketing digital
Shutterstock/Sutipond Somnam. Tendencias

Es posible que te hayas preguntado si crear un canal de YouTube es una buena estrategia para divulgar a tus pacientes los tratamientos que ofrecéis en vuestra clínica. Y es que no son pocas las ventajas que, a simple vista, puede aportar la creación de contenido audiovisual: genera cercanía, se comparte fácilmente en redes sociales y te permite mostrar los valores y la profesionalidad con la que trabajáis. YouTube cuenta con más de dos mil millones de usuarios activos cada mes, lo que equivale a aproximadamente un tercio de la población mundial en línea. En este sentido, crear un canal en esta plataforma puede parecer una excelente oportunidad para llegar a una audiencia más amplia. Pero, ¿es realmente una estrategia efectiva?

AMPLÍA TU AUDIENCIA Y ACÉRCATE A NUEVOS PACIENTES

El principal objetivo debe ser que, cuando tu audiencia vea tus vídeos, corrobore que tu clínica cuenta con un equipo de prestigio, con doctores

que transmitan confianza a la hora de explicar tratamientos y que, además, sean referentes en el campo de la Odontología.

Y es que, la experiencia del paciente comienza antes de que este cruce la puerta de tu consulta. Su primera impresión se forma en el instante en el que descubre tu clínica, ya sea a través de una búsqueda en Google o un vídeo recomendado en YouTube. De ahí la importancia de cuidar la imagen corporativa de tu clínica y de publicar vídeos que reflejen la profesionalidad con la que trabajáis.

ESCALA HASTA LAS PRIMERAS POSICIONES EN GOOGLE

En la mayoría de ocasiones, cuando un paciente realiza una búsqueda sobre un tratamiento dental (por ejemplo, «cómo colocar carillas dentales») aparece entre los primeros resultados un vídeo publicado en YouTube que ilustra el proceso. Esto se produce porque el propio algoritmo de búsqueda de Google reconoce que el contenido audiovisual es muy útil para quien realiza esa búsqueda.

EN
SECTOR DENTAL ONLINE rIL Estudio Agencia de marketing 360º redes sociales posicionamiento marketing web diseño fotografía vídeo info@ril.es 876 28 25 32 www.ril.es
LÍDERES
EL
JAVIER RIOJA
121 Marketing digital. TENDENCIAS
Director de rIL Estudio 360 (Estudio de creatividad global).

Además, podrás emplear los vídeos también en tus redes sociales, en tu perfil de empresa en Google y en las diferentes secciones de tu página web.

NO TE QUEDES EN EXPLICAR TUS TRATAMIENTOS, MUÉSTRALOS

Si el equipo de tu clínica dental destaca por ser referente en la utilización de técnicas y tecnología de última generación, ¿por qué no mostrarlo y detallarlo en un vídeo?

Además, si lo que buscas es que tus pacientes comprendan cuestiones básicas de los tratamientos que ofreces y se

familiaricen con tu equipo, utiliza YouTube como herramienta para divulgar buenos hábitos de salud bucodental, desmentir bulos o explicar preguntas frecuentes sobre tratamientos dentales de forma sencilla y visual.

Sin duda, para conseguir buenos resultados, hay muchas cuestiones que debes tener en cuenta. Grabar un vídeo con el móvil y publicarlo en las redes sociales es sencillo, pero hacerlo con un mínimo de calidad, no. Y es que, si tener éxito en esta plataforma fuese fácil, no sería un factor de diferenciación.

Grabar con suficiente calidad, disponer de un buen micrófono para conseguir un sonido nítido y realizar un montaje profesional de tus vídeos son algunos de los costes que deberás asumir para publicar vídeos de calidad y llegar a una audiencia más amplia. Para ello, nadie mejor que una agencia profesional de marketing digital como rIL Estudio, que sepa cómo llevar la comunicación de tu clínica dental al siguiente nivel. ●

«El principal objetivo debe ser que, cuando tu audiencia vea tus vídeos, corrobore que tu clínica cuenta con un equipo de prestigio»
ACCEDE A
122 Gaceta Dental · N o 359 | Septiembre 2023 TENDENCIAS. Marketing digital
Grabar un vídeo con el móvil y publicarlo en las redes sociales es sencillo, pero hacerlo con un mínimo de calidad, no. Imagen: Shutterstock_Elnur.
ARTÍCULOS ANTERIORES

19 años al servicio de distribuidores y servicios técnicos dentales

Aeropulidor

AP-H PLUS

PVP: 480,00€*

2 en 1

Subgingival y Supragingival

GARANTÍA: 2 AÑOS

*IVA/IGIC no incluido

Incluye dos puntas: una para tratamientos subgingivales y una para tratamientos supragingivales

YA DISPONIBLE YA DISPONIBLE

Piezo de Cirugía

SURGIC TOUCH LED

PVP: 3.480,00€*

GARANTÍA: 2 AÑOS

*IVA/IGIC no incluido

YA DISPONIBLE

Potencia, precisión y seguridad al alcance de todos

Incluye dos piezas de mano y 14 puntas de cirugía

NUEVA lampara de fotocurado para sillón dental.

VV Light

• Hasta 2.500 mW/cm2.

• 4 programas de trabajo.

• Polimeriza todas las marcas.

¡Siempre en stock, entrega en 24 horas!

PVP: 158,00€*

GARANTÍA: 2 AÑOS

*IVA/IGIC no incluido

10mm

Pregúntanos por tu distribuidor o servicio técnico más cercano

IMPORTADOR MAYORISTA PARA LA PENÍNSULA IBÉRICA
www.rumarcedeira.com | rumarcedeira@rumarcedeira.com Teléfono: 91 849 01 04 | WhatsApp: 683 157 441
dental:
dispositivos necesito? Transformación digital
Quiero digitalizar mi clínica
¿qué
(II)
124 Gaceta Dental · N o 359 | Septiembre 2023 TENDENCIAS. El rincón digital
Shutterstock/Andrew Angelov.

En la primera parte de este artículo «Quiero digitalizar mi clínica dental, ¿por dónde empiezo?», exploramos los beneficios y la importancia de la transformación digital en una clínica dental, así como el software necesario para poderlo llevar a cabo en los ámbitos de la gestión, radiología, análisis y planificación de casos, con la finalidad de proporcionar mejores tratamientos a nuestros pacientes.

Ahora, en esta segunda parte, nos centraremos en los dispositivos necesarios para poderlo acometer. La incorporación de la tecnología adecuada en tu clínica dental no solo mejorará la eficiencia y la calidad de atención al paciente, sino que también te ayudará a mantenerte a la vanguardia en un mundo cada vez más digitalizado.

Pero, enseguida nos hacemos una pregunta: ¿por dónde empezamos? Lo primero es analizar de qué recursos disponemos. Hemos hablado brevemente de sistemas de radiología intra y extraoral, impresoras 3D y otros elementos para determinados procesos, pero, si quiero digitalizar mi clínica, ¿qué necesito realmente? Responder esta pregunta puede resultar complejo debido a la multitud de aspectos implicados, sin embargo, si nos enfocamos en nuestra práctica diaria, la respuesta se vuelve más sencilla. Necesitamos aquello que agilice nuestros procesos y haga de nuestro trabajo una actividad más exacta y predecible para nuestros pacientes, mejorando así nuestra calidad asistencial.

En primer lugar, necesitamos disponer de una red de trabajo con una serie de elementos básicos:

-Ordenadores: dependiendo

Tendencias
DR. GIULIANO FRAGOLA Director médico de Estudio Dental Majadahonda. Licenciado en Odontología, Universidad Complutense de Madrid. Máster en implantología, Periodoncia y Rehabilitación Oral, New York University. Senior fellow y speaker ITI (International Team for Implantology). Anthogyr international speaker. CEO IDE Immersive dental experiences.
125 Gaceta Dental · N o 359 | Septiembre 2023
TENDENCIAS
«La incorporación de la tecnología adecuada en tu clínica dental te ayudará a mantenerte a la vanguardia»
El rincón digital.

de las necesidades de la clínica, deberás adquirir un número suficiente de ordenadores para el personal (dentistas, asistentes y personal administrativo).

-Servidores: es recomendable contar con al menos un servidor para centralizar el almacenamiento de datos y garantizar su seguridad.

-Dispositivos de red: esto incluye enrutadores, switches y cables de red para establecer la infraestructura de comunicación.

Es fundamental disponer de elementos de copia de respaldo de nuestros datos tanto del PMS (programa de gestión de pacientes) como de las imágenes radiológicas, fotografías y registros tomados a nuestros pacientes. En caso de duda, asesorarse por personal especializado nos ahorrará mucho tiempo y quebraderos de cabeza.

Una vez estructurada nuestra red de trabajo, pasaremos a los periféricos: cámara fotográfica, CBCT, radiología y escáner intraoral, impresoras 3D y fresadoras.

Para realizar fotografías dentales necesitaremos:

-Una cámara con una buena resolución y capacidad de enfoque macro. Las cámaras compactas de alta gama o una cámara réflex digital (DSLR) son opciones muy comunes y asequibles.

-Un objetivo macro para capturar detalles precisos de los dientes y las estructuras bucales. Los objetivos con una distancia focal entre 50 mm y 100 mm suelen ser los más aconsejables.

-Un flash que proporcione la iluminación adecuada. Se puede utilizar una combinación de fuentes de luz naturales y artificiales para asegurarse que los detalles se capturen con claridad y sin sombras. Los flashes anulares, laterales y las luces de estudio son buenas opciones y su elección dependerá del tipo de fotografía que quieras realizar.

-Elementos accesorios como espejos intraorales, retractores labiales y fondos neutros para crear contraste y resaltar los detalles de los dientes.

ACCEDE A LA PRIMERA PARTE DEL ARTÍCULO 126 Gaceta Dental · N o 359 | Septiembre 2023
«Necesitamos aquello que agilice nuestros procesos y haga de nuestro trabajo una actividad más exacta y predecible para nuestros pacientes», destaca el Dr. Giuliano Fragola. Imágenes: cedidas por el Dr. Fragola. TENDENCIAS. El rincón digital

Para realizar buenas radiografías dentales la literatura avala la utilización de un CBCT sin necesidad de recurrir a los costosos y más invasivos TC helicoidales.

Debemos considerar que la radiología digital: reduce la exposición a la radiación, ya que requiere una menor dosis de radiación en comparación con las radiografías convencionales; mejora la calidad de imagen, ofreciendo una mayor resolución y detalle, lo que facilita el diagnóstico preciso, además de la posibilidad de trabajar las imágenes para realzar colores, relieves, magnificación puntal, etc; y permite almacenamiento y fácil acceso, ya que se puede almacenar de forma segura en el sistema de gestión de la clínica.

QUÉ DISPOSITIVOS NECESITO EN MI CONSULTA

En nuestra consulta necesitaremos:

-Un CBCT diseñado específicamente para capturar imágenes tridimensionales de la

estructura dental y ósea circundante, acompañado del software de gestión de imágenes.

-Posicionadores y estabilizadores para garantizar una colocación precisa del paciente y minimizar el movimiento durante la adquisición de las imágenes.

-Monitor de alta resolución que nos permita ver con claridad todos los detalles que arrojan las imágenes obtenidas.

Referente a la radiología digital intraoral hay en el mercado infinidad de sistemas. Podemos decantarnos por un sistema de sensor digital o de digitalización de placas inteligentes disponiendo, estas últimas, de una mayor flexibilidad a la hora de elegir el tamaño deseado para nuestra proyección en cada momento, ya sean periapicales, aletas de mordida e incluso oclusales, siendo más limitado en este aspecto el sistema de sensor al disponer de captador de tamaño fijo predefinido.

Ambos sistemas ofrecen una calidad de imagen magnífica,

127 Gaceta Dental · N o 359 | Septiembre 2023 El rincón digital. TENDENCIAS
Según el Dr. Giuliano Fragola, «para realizar fotografías dentales necesitaremos una cámara con una buena resolución y capacidad de enfoque macro». Imagen: cedida por el Dr. Fragola.

siendo un elemento considerado imprescindible en nuestra actividad diaria.

En lo referente a las impresiones digitales, el escáner intraoral (IOS, Intra Oral Scanner) es la herramienta perfecta para obtener modelos virtuales de nuestros pacientes de un modo sencillo, rápido y preciso, incluso más que una impresión de alginato en la que, en muchas ocasiones, nos «olvidamos» de: agitar los botes que lo contienen, enrasar bien las cucharas dispensadoras de polvo de alginato, medir el agua, batir a conciencia el tiempo necesario, secar caras oclusales o vaciar las impresiones de forma correcta, lo que da lugar a modelos distorsionados, con burbujas o carentes de los detalles necesarios para una buena fusión de archivos entre la imagen del CBCT y el IOS.

También es posible hacer buenas impresiones con técnicas convencionales, por supuesto, pero será necesario digitalizarlas con un escáner de sobremesa, o vaciarlas para obtener modelos de escayola

que también tendrán que ser digitalizados, añadiendo otro factor más de distorsión.

Pero debemos tener una cosa clara: no todos los dispositivos funcionan igual; debemos ser muy cautos a la hora de elegir y enfocar nuestros tratamientos. La formación es clave en la utilización los mismos y conocer cuáles son sus limitaciones o procesos de verificación de nuestros flujos de trabajos será clave para lograr el éxito en nuestros tratamientos.

Todos los días vemos en las redes sociales cómo se toman impresiones de cualquier cosa y de cualquier manera para luego colocar el trabajo que, «por arte de magia», encaja perfectamente, pero nada más lejos de la realidad. Actualmente, no hay literatura que avale al 100% los procedimientos que yo llamo «plug and play», es decir, toma de impresión de cualquier situación clínica, solicitud al laboratorio para confeccionar la restauración por compleja que sea, recibirla y que, por arte de magia, encaje. Si

128 Gaceta Dental · N o 359 | Septiembre 2023 TENDENCIAS.
Para el Dr. Fragola, «existen en el mercado gran cantidad de sistemas de altísima calidad; elegir uno u otro dependerá de los deseos de cada profesional y el uso definitivo que le vayamos a dar». Imágenes: cedidas por el Dr. Fragola. El rincón digital

tenemos la fortuna de que sea así, la pregunta que me viene a la cabeza es: ¿esto es realmente preciso? ¿No hay demasiadas variables que no controlo?

Seamos cautos; funcionan y muy bien, nos ayudan muchísimo, el paciente se siente agradecido al evitar las tan desagradables impresiones de alginato o silicona y, por qué no decirlo, tienen un valor de marketing enorme, pero, a veces, hay pasos intermedios que debemos conocer y llevar a cabo para que, entonces y solo entonces, podamos estar seguros de la precisión de nuestros tratamientos.

Tal es mi confianza en estos sistemas de impresión correctamente utilizados que, si los quitásemos de la consulta, sería para nosotros como quedarnos sin alginato en el pasado: un caos.

Disponemos de un IOS y ya sabemos manejarlo; ahora toca poder imprimir los modelos: ¿qué impresora me compro? ¿Merece la pena?

Existen en el mercado infinidad de impresoras 3D con técnicas muy

diversas en la generación del modelo y polimerización de las resinas.

En líneas generales, necesitaremos una impresora de resina que nos brinde una resolución de entre 50u y 100u, resinas biocompatibles esterilizables, un dispositivo de lavado y eliminación de la resina no polimerizada una vez impresa la guía, y un sistema de polimerización a una determinada temperatura y longitud de onda dependiendo de las especificaciones de cada fabricante.

Imprimir no es un proceso directo y, dentro de la lista de elementos a adquirir para la digitalización de clínicas dentales, sería uno de los últimos de la lista salvo que, como yo, dediques mucha parte de tu actividad a procesos en los que disponer de una impresora y no externalizar el trabajo agilice la actividad diaria. Imprimir no es crear un fichero como si de un documento de texto se tratase, mandarlo a la impresora y obtener el modelo como cabría esperar, sino que requiere de trabajo de preparación, calibración limpieza y curado que debe

129 Gaceta Dental · N o 359 | Septiembre 2023
TENDENCIAS
El Dr. Giuliano Fragola realizando una cirugía. Imagen: cedida por el Dr. Fragola.
El rincón digital.

controlarse para que reproduzca fielmente la boca del paciente.

Me apasiona el mundo de la impresión digital y todo lo que nos brinda, la tecnología que hay detrás y cómo se ha convertido en algo asequible hoy en día, pero tendremos que dedicarle un capítulo entero para conocer qué tipos hay de DLP, SLA y otros, cómo funcionan y qué debemos aprender para obtener trabajos de calidad.

Por último, y más frecuente cada vez, podremos cerrar el círculo con una fresadora.

No se trata de adquirirla pensando que así nos evitamos los costes de laboratorio y, si esa es la razón, mejor olvidarlo porque considero que los laboratorios son un maravilloso y necesario aliado, son parte de nuestro equipo de trabajo cuyo nivel de conocimiento en los procesos de fresado, así como su gran variedad de materiales y posterior procesado, está muy por encima del de muchos de nosotros, ya que son parte de su práctica diaria con infinidad de casos clínicos que les ha servido de curva de aprendizaje.

Disponemos de fresadoras de pastilla, de disco, que fresan en seco o mojado. Todas ellas permiten el empleo de diferentes materiales y, dependiendo de la máquina, habrá materiales que no puedan trabajar. No debemos olvidar que son máquinas de corte en varios ejes y las estructuras a cortar necesitan ser diseñados en un programa CAD específico (Computer Aided Design), cuyo manejo, en ocasiones, no es tan simple como creemos, necesitando además algunos materiales como el zirconio en labores de sinterización posterior.

Hay situaciones en las que la inmediatez juega un papel decisivo y es aquí donde veo su gran utilidad: preparar y confeccionar incrustaciones, coronas provisionales o definitivas de recubrimiento total, así como restauraciones provisionales o de cemento atornilladas definitivas unitarias implantológicas en áreas no estéticas fundamentalmente.

Los trabajos que requieren mayor precisión o habilidad en el manejo de los procesos como confección de carillas, rehabilitaciones completas sobre dientes o implantes, o combinaciones de materiales en estructuras hibridas, deberían externalizarse para garantizar la calidad de los mismos, así como para disponer de más tiempo clínico para dedicarlo a nuestros pacientes y no a labores de laboratorio.

La transformación digital a nivel software y hardware ha venido para quedarse. Las decisiones relativas a los elementos a implementar dependen de un profundo análisis y reflexión y, sobre todo, la capacidad de entender que, una vez dentro, la rueda no para de girar y la evolución es constante, requiriendo, por tanto, esfuerzo y dedicación. ●

130 Gaceta Dental · N o 359 | Septiembre 2023 TENDENCIAS.
«La transformación digital a nivel software y hardware ha venido para quedarse. Las decisiones relativas a los elementos a implementar dependen de un profundo análisis y reflexión»
El rincón digital

Tecnología para mejorar la gestión de personas en las clínicas dentales

131 Odontología digital. TENDENCIAS Gaceta Dental · N o 359 | Septiembre 2023
Sofía Solano, directora de Instituto IDEOD.

Tendencias

SOFÍA SOLANO MENDOZA

Incesantemente oímos hablar de transformación digital. Durante los últimos años, las clínicas dentales han ido incorporando diferentes tecnologías según la industria se la ha ido brindando, sin tener previamente unos objetivos y una planificación estratégica para su implementación.

La gran mayoría de estas tecnologías (escáner intraoral, diseño de sonrisa, impresión 3D, etc.) adquiridas por las clínicas están dirigidas a la optimización de procesos clínicos. Pero, ¿qué pasa con los procesos estratégicos de dirección, administración, mejora y control, que son fundamentales para tener una clínica optimizada que permita tener un correcto funcionamiento tanto en el área clínica como el área de la dirección? Sin estos procesos del área de

dirección es imposible llevar a cabo con éxito una transformación digital completa en la clínica. Antes de embarcarnos en el mundo de la digitalización, debemos tener perfectamente estructurada, organizada y protocolizada nuestra clínica, para así poder detectar las necesidades que nos llevarán a mejorar y automatizar procesos a través de la digitalización.

PROPORCIONAR AL EQUIPO HABILIDADES Y HERRAMIENTAS DIGITALES

Es importante que no nos precipitemos con la integración e implementación de tecnología o soluciones digitales; esto es algo que no se puede hacer de manera improvisada, sino estudiando las más adecuadas para cada área con la finalidad de optimizar los procesos tanto clínicos como de

Gestora del sector odontológico, formativo y digital. Directora de Instituto IDEOD y del Máster de Dirección y transformación de clínicas dentales. Directora de Coinsol Dental.
132 TENDENCIAS. Odontología digital Gaceta Dental · N o 359 | Septiembre 2023
«Antes de embarcarnos en el mundo de la digitalización, debemos tener perfectamente estructurada, organizada y protocolizada nuestra clínica»

dirección. Por ello, es necesario hacer un análisis de los procesos de nuestra clínica, detectar sus puntos débiles y en cuáles de ellos la tecnología nos puede ayudar. Por ejemplo, en los procesos de captación de clientes podemos implementar CRM’s que nos ayuden a medir la conversión de nuestra inversión en publicidad ya que, si está conectado con la recepción, se puede cruzar la información de las primeras visitas, automatizar informes mensuales y saber si la inversión ha tenido retorno. Para implementar en la clínica cualquier tipo de herramienta tecnológica es necesario tener un presupuesto de inversión anual, así como un plan de implementación de cada herramienta con sus tiempos definidos para así, llegado el momento de la puesta en marcha, gestionar la formación de la plantilla y empezar a usarla desde el primer momento. A este respecto, hay dos maneras de catalogar esta adquisición de habilidades:

-Reskilling: la inversión destinada a que la plantilla se recicle y adquiera conocimientos en materia tecnológica.

-Upskilling: el aprendizaje a la carta para que los empleados adquieran todas las competencias necesarias para aumentar su aportación a la empresa.

De nada sirve que invirtamos mucho dinero en tecnología puntera, si luego no invertimos en formación cualificada ya que, por defecto, una vez adquirida el usuario tarda mucho en ponerla en marcha, generando esto una pérdida de tiempo y de dinero. Todas las tecnologías tienen su curva de aprendizaje, pero ésta debe estar contemplada dentro del plan estratégico.

Esta inversión formativa revertirá

positivamente en la empresa, ya que los trabajadores se sentirán valorados consiguiendo que, de manera natural, aumente su implicación en el uso de la tecnología y, por ende, en el rendimiento de la clínica.

CUIDAR LA COMUNICACIÓN INTERNA

En el transcurso del proceso de transformación digital, una de las cuestiones fundamentales es mantener una comunicación interna fluida de manera que, si el empleado tiene dudas o cualquier incidencia en el uso de esa nueva tecnología, cuente con un chat interno donde pueda ser atendido y la clínica esté al corriente de sus dificultades. Antes de la llegada de la nueva tecnología a la clínica, el equipo debe estar informado de la nueva adquisición, la razón por la que se ha invertido en ella, cómo se va a llevar a cabo la puesta en marcha, su formación y qué objetivo se quiere conseguir. Las herramientas de comunicación son otra tecnología que deberíamos implementar, ya que las vías de comunicación de correo electrónico o Whatsapp se han quedado obsoletas o invaden la vida personal del empleado. Numerosas empresas

133 Odontología digital. TENDENCIAS Gaceta Dental · N o 359 | Septiembre 2023
«De nada sirve que invirtamos mucho dinero en tecnología puntera, si luego no invertimos en formación cualificada»

de otros sectores han ido migrando a otras plataformas como Slack, Steeple y Dialenga, que las podemos tener tanto en los ordenadores dentro de gabinete, recepción o una app en el móvil, puesto que el empleado solo mirará esa app en horario laboral o cuando considere de su interés.

LA IMPORTANCIA DE LA TRANSFORMACIÓN DIGITAL PARA LA GESTIÓN DE PERSONAS Y PROCESOS

A la hora de auditar las clínicas dentales de nuestros alumnos en el Máster de Dirección y Transformación de Clínicas Dentales de Instituto IDEOD, veo que las clínicas no tienen ningún sistema implantado para llevar el control de los empleados. Y no me refiero al control horario que como normativa es obligatorio su registro, sino a la organización y control de las tareas de cada trabajador, para así tener conocimiento diario y a tiempo real de las responsabilidades que tiene cada uno pendientes de

hacer. De esta forma, cuando surgen incidencias como, por ejemplo, agendas vacías, podemos saber si recepción lleva al día sus tareas de recalls de pacientes.

Con este tipo de herramientas de RRHH no solo podemos llevar el control de tareas, sino también el flujo de trabajo, diseño de procesos y protocolos, automatización de documentos (firma de contratos, altas, bajas, ausencias, vacaciones), herramientas de evaluaciones de desempeño, control horario y un sinfín de posibilidades más.

También tenemos a nuestra disposición otro tipo de plataformas como pueden ser Infojobs o Job&Talent, que nos ayudan a encontrar al candidato adecuado para cubrir puestos vacantes, consiguiendo que optimicemos el tiempo de búsqueda de CV que se ajusten a nuestras necesidades.

Aparte de las herramientas ya mencionadas, la tecnología crece a pasos agigantados y, en este momento, se están desarrollando

134 TENDENCIAS.
Gaceta Dental · N o 359 | Septiembre 2023
Figura 1. Conceptos básicos de la dirección clínica. Autor: Sofía Solano, 2023. Fuente: Instituto IDEOD.
Odontología digital

Doble edición

Elige tu campus: Madrid / Sevilla

Inicio Octubre 2023

· Aprende a ser director

· Transforma tu clínica

· Herramientas exclusivas

IN STITU T O D E D E SARRO LL O ODO NTOL ÓGI C O DIGI TAL

herramientas que cambiarán la forma de gestionar a nuestro equipo como la utilización de Big Data para captar y retener al talento, robotización para automatización de tareas repetitivas e Inteligencia Artificial (IA) para predecir el comportamiento de nuestros empleados.

Big Data para captar y retener el talento

La analítica de personas proporciona la explotación inteligente de todos

los datos, lo que permite al director de la clínica tomar decisiones más argumentadas. Gracias a los continuos desarrollos, los beneficios que ofrece no paran de crecer. ¿Qué puede hacer el Big Data por la gestión de personas?

• Los softwares de adquisición de talento permiten a la clínica dental gestionar los currículos de forma más rápida y eficiente. De esta manera, a las clínicas que, por ejemplo, no cuentan con un director específico y es el propio doctor quien se tiene que dedicar tanto a tratar pacientes como a entrevistar candidatos, este tipo de herramientas les servirá no solo para colgar un anuncio, sino también para filtrar automáticamente los candidatos que se ajustan más a las características demandadas por la clínica. Esto se traduce en una toma de decisiones de contratación más inteligente y que nos hará ahorrar tiempo.

• La información obtenida gracias a cruzar datos de nuestro

Figura 2. Mapa de procesos. Autor: Sofía Solano, 2023. Fuente: Instituto IDEOD.
136 TENDENCIAS. Odontología digital Gaceta Dental · N o 359 | Septiembre 2023
«Para poder llevar un buen control de la clínica es necesario conocer datos concretos y profundos de ésta»

programa de gestión y el software de RRHH nos permitirá anticiparnos y conocer cuándo hay proyección de crecimiento o si, por lo contrario, necesitamos hacer recortes. De esta forma, las organizaciones pueden planificar las futuras contrataciones o despidos.

• Los cuadros de mando dan información en tiempo real y toman el histórico de datos para predecir tendencias.

• Esta tecnología es capaz de detectar patrones para anticiparse a posibles problemas.

• Los procesos son más transparentes, ya que estará

involucrado todo nuestro personal, teniendo el control en tiempo real.

Un buen uso del Big Data puede incluso mejorar el engagement de los empleados. ¿Cómo? Ofreciendo una compensación a los que sean más productivos o anticipándose a los problemas que pueden surgir entre la plantilla para que no vayan a más, por ejemplo. Con ello, se mejora el clima laboral y se consigue retener el talento.

Robotización de los recursos humanos

Las soluciones RPA (Automatización Robótica de Procesos) permiten

HERRAMIENTAS DE GESTIÓN PARA LOS RECURSOS HUMANOS

E-Learning. Al principio de este artículo hablábamos de la importancia de invertir en la capacitación del equipo. Tenemos plataformas específicas para la implementación en clínicas dentales como puede ser Dental Data Academy para la gestión de la clínica, o bien Inspiria Dental para procesos clínicos.

Gestión de personal. En el mercado hay varias plataformas que facilitan el control horario, el seguimiento de las vacaciones y control de tareas; aunque no sean específicos de nuestro sector, son totalmente adaptables a nuestras necesidades. Tienes Holded, Factorial, Bizneo HR o Sesame Time, entre otros.

Firma digital. Hoy en día ya no es necesario imprimir un documento para firmarlo. Puedes hacerlo de forma electrónica a través de herramientas como Docusign.

Comunicación interna. Las redes sociales internas facilitan una comunicación más interactiva entre el equipo. Tienes varias para elegir, algunas de las cuales ofrecen herramientas de personalización. Puedes empezar probando con Slack, Steeple y Dialenga.

Herramientas de control. Para poder llevar un buen control de la clínica es necesario conocer datos concretos y profundos de tu clínica como pueden ser los gastos y ventas, la desviación de costes, la aceptación de presupuesto, la ociosidad de tu clínica, la productividad de los odontólogos, la rentabilidad de las especialidades, la eficiencia de tus citas, etc. Conocer esta información de tu clínica es el primer paso para poder empezar a digitalizar tu clínica, sin esto es imposible poder tomar decisiones. La herramienta que te recomiendo para ello es Analytic App de Dental Data.

Contratación. Para hacer este proceso mucho más ágil debemos usar herramientas que usen Big Data. Esto es algo que todavía está en desarrollo, pero mientras esta solución llega a puerto, podemos usar herramientas como InfoJobs y Job&Talent.

137 Odontología digital. TENDENCIAS Gaceta Dental · N o 359 | Septiembre 2023

extraer un gran volumen de datos y volcarlos en otros sistemas. Los softwares robóticos automatizan las tareas manuales y repetitivas, no solo de la dirección, sino también de procesos administrativos de la recepción como puede ser la preparación de las nóminas, la confirmación de citas, cuestionarios de satisfacción, el check-in y checkout del paciente, procesos de marketing como publicaciones de RRSS, SEO, SEM, email marketing, etc. También se utiliza la robótica para los procesos de selección, formación o reporting, entre otros. El futuro

estará en cruzar las herramientas RPA con soluciones de Machine Learning, OCRs, NPL o chatbots.

Inteligencia Artificial

Este 2023 ha sido el año de la Inteligencia Artificial, y lo que vemos que puede hacer a día de hoy es solo el principio. Gracias a la IA dentro de los RRHH podremos analizar, predecir y diagnosticar el comportamiento de los trabajadores, haciendo que el director de una clínica pueda anticiparse al máximo a lo que pueda ocurrir, minimizando así la insatisfacción y la rotación de los empleados dentro de una clínica. Como consecuencia de lo expuesto, si queremos tener una clínica digitalizada 360 o no solo nos podemos enfocar en los procesos clínicos, sino todo lo que involucra a la gestión y la administración de la clínica pasando por la dirección, la recepción, gabinetes y los RRHH.

«Los líderes nunca pueden ser cerrados de mente. Deben llegar a trabajar todos los días buscando una mejor manera de hacer las cosas. No pueden tener miedo a admitir sus errores. Deben estar dispuestos a cambiar de curso cuando las circunstancias cambian», Jack Welch. ●

El Instituto para el Desarrollo Odontológico (IDEOD) surge gracias a la voluntad del Catedrático D. Enrique Solano Reina por ofrecer una formación responsable y de calidad a los profesionales de la Odontología, ayudándoles a alcanzar los más altos niveles en el desarrollo de su profesión.

IDEOD acompaña a todos los odontólogos en su proyecto de mejora profesional, formándoles en las especializaciones más relevantes del sector, aportando las técnicas y procedimientos más innovadores, consiguiendo que los alumnos amplíen su oferta de tratamientos al tiempo que prestan una mejor experiencia a sus pacientes.

138 TENDENCIAS. Odontología digital Gaceta Dental · N o 359 | Septiembre 2023
«En el transcurso del proceso de transformación digital, una de las cuestiones fundamentales es mantener una comunicación interna fluida»

CENTRÓ SU DISCURSO EN EL PAPEL DEL CONSEJO EN EL CÁNCER ORAL

Óscar Castro ingresa en la Academia de Ciencias Odontológicas de España

Consejo de Dentistas; y numerosos amigos y familiares. Asimismo, estuvo presente el abogado Ricardo de Lorenzo, quien tomó posesión como académico de honor de la institución.

La Academia de Ciencias Odontológicas de España ha nombrado académico de número, con la medalla 18 de la institución, al Dr. Óscar Castro Reino, presidente del Consejo de Dentistas.

Al acto de nombramiento, celebrado a primeros de julio, asistieron numerosas personalidades, como el presidente del Consejo Andaluz de Dentistas; presidentes de varios Colegios Oficiales de Dentistas; presidentes de los Consejos Sanitarios; Raquel Murillo y Luis Campos, de AMA; el comité ejecutivo del

Castro comenzó su discurso agradeciendo al profesor Antonio Bascones Martínez, presidente de la Academia, y a todos los miembros de la junta de gobierno, haberle considerado «como un puntal más -junto con ellos- de expansión y defensa dentro de nuestro ámbito de la cultura y el saber científico». Asimismo, mostró su gratitud a su familia, a los trabajadores del Consejo, a todos los miembros de los diferentes comités ejecutivos que le han acompañado a lo largo de sus mandatos, y a los profesores Pía López Jornet y Juan Manuel Seoane Lestón, coordinadores de las campañas de prevención y concienciación sobre cáncer oral realizadas desde el Consejo General de Dentistas. De hecho, el tema elegido por el Dr. Óscar Castro para su discurso fue el papel del Consejo en el cáncer oral, una enfermedad que representa el 4% de todos los cánceres a nivel mundial. ●

EL CONSEJO DE DENTISTAS FALLA SUS PREMIOS ANUALES

Un año más, la Asamblea General de la Organización Colegial de Dentistas de España ha fallado sus premios anuales, que se entregarán en diciembre.

Entre los premiados en esta edición figura el Dr. José Vicente Bagán, quien recibirá el Premio Santa Apolonia 2022, la máxima distinción que concede a título individual el Consejo, por la que reconoce a los dentistas que más han destacado en su trayectoria profesional, por sus trabajos, su dedicación, y su contribución al prestigio y desarrollo de la Odontología. Asimismo, el Dr. Guillermo Jesús Pradíes recibirá el Premio Dentista del Año 2022, un galardón que reconoce los méritos conseguidos durante el último año en materia de salud bucodental. Más info sobre la noticia en: www.gacetadental.com

140 NOTICIAS DE ACTUALIDAD
Gaceta Dental · N o 359 | Septiembre 2023
El Dr. Óscar Castro durante su nombramiento. Imagen: Consejo General de Dentistas.

Impresión por filamento – sostenible e innovadora

El sistema de impresora 3D por filamento SIMPLEX con filamentos ecológicamente sostenibles especial para la fabricación de modelos de ortodoncia.

Ajustes preestablecidos y los filamentos adecuados

Impresión 3D con

SIMPLEX

www.renfert.com/simplex NOVEDAD
making work easy
SIMPLEX study model working model
SIMPLEX aligner model SIMPLEX multi-use model

MÉDICOS,

DENTISTAS, FARMACÉUTICOS Y VETERINARIOS

Los colegiados sanitarios contarán con programas específicos de salud

ámbitos de salud mental. Además, su bienestar físico y mental se ha visto especialmente afectado en la pandemia, con un enorme impacto en términos de salud mental que, lejos de revertirse tras el fin oficial de la pandemia, perduran y, en algunos casos, se acentúan.

Por ello, desde las profesiones sanitarias se trabaja para ampliar esta protección, más necesaria ahora que nunca, mediante una respuesta integral y profesional a quienes sostienen el Sistema Nacional de Salud.

Programa de Atención Integral al Médico Enfermo (PAIME) se articularán programas para la rehabilitación del profesional afectado.

El Consejo General de Médicos ha suscrito un protocolo general de colaboración con los Consejos de Dentistas, Farmacia y Veterinaria para el apoyo e impulso en la creación, coordinación e implementación de un Programa de Atención Integral al Profesional Sanitario Enfermo, adaptado a las necesidades de cada profesión, en base a la experiencia y éxito del Programa de Atención Integral al Médico Enfermo (PAIME) desarrollado por los colegios de médicos desde hace 25 años.

Este protocolo tiene como objetivo principal promover el cuidado de la salud de los diferentes profesionales sanitarios en base a la problemática y circunstancias concretas de los miembros de cada profesión, para poder así proporcionar la mejor respuesta en materia de promoción, prevención y cuidado de la salud. Los profesionales sanitarios son un colectivo especialmente vulnerable en determinados

Las iniciativas, que se van a promover con el asesoramiento del Consejo General de Médicos, ofrecen el acceso voluntario y la rehabilitación del profesional afectado con objetivos muy claros como ayudar a la detección de profesionales médicos con problemas o dificultades en materia de salud mental y/o adicciones; facilitar al profesional enfermo un Programa de Atención Especializada formado por una red de profesionales y recursos que traten su problemática, le ayuden a resolver su situación y pueda ser recuperado para el ejercicio de su profesión con todas las garantías para él y para la población objeto de su trabajo; y, finalmente, garantizar al sanitario enfermo en tratamiento el anonimato, con total confidencialidad y secreto profesional en la atención que reciba a través de dicho programa.

Los presidentes de los cuatro Consejos Generales, Tomás Cobo, Jesús Aguilar, Luis Alberto Calvo y Óscar Castro, impulsores de esta iniciativa, han puesto de relieve que este tipo de programas garantizan a los ciudadanos que sus profesionales les atienden en las mejores condiciones posibles «porque además de cuidar del profesional, de nuestros compañeros, cuidamos la salud de los ciudadanos». ●

142 NOTICIAS DE ACTUALIDAD
Con base en el
Gaceta Dental · N o 359 | Septiembre 2023
De izq. a dcha.; Jesús Aguilar, Tomás Cobo, Ó scar Castro y Luis A. Calvo. Imagen: cedida por el Consejo General de Dentistas.

CON

LA PARTICIPACIÓN DE CERCA DE UN MILLAR DE DENTISTAS Éxito de la campaña de Salud Oral Infantil en los centros educativos de primaria

Impulsada por el Consejo General de Dentistas y la Fundación Dental Española, se han impartido charlas de educación sanitaria en más de 1.500 aulas a unos 37.000 escolares de toda España.

La dinámica de la campaña ha podido llevarse a cabo gracias a la colaboración de los centros escolares y la participación activa de los Colegios Oficiales y Juntas Provinciales de

Dentistas, que han servido de engranaje para elaborar un calendario de charlas distribuidas por cada provincia.

La campaña incluyó también la distribución de un manual para educadores de los centros de enseñanza primaria y de unas fichas pedagógicas, para complementar la información a los menores. Todo ello, alojado en la web www. saludoralinfantil.es. El grado de satisfacción, tanto de los centros educativos como de los dentistas que han participado, ha sido muy elevado. ●

Más de 17.500 tratamientos, en las Clínicas Odontológicas Solidarias en 2022

Las 9 clínicas solidarias en activo que hay en España atendieron a 3.734 pacientes durante el pasado año.

A lo largo de 2022, las Clínicas Odontológicas Solidarias avaladas por el Consejo General de Dentistas de España y la Fundación Dental Española (FDE) atendieron a 3.734 pacientes y realizaron 17.520 tratamientos. Unas cifras más elevadas que en 2021, con 3.599 pacientes y 15.335 tratamientos.

Debido a la situación sanitaria que todavía se vivía el año pasado, de las 12 Clínicas Solidarias distribuidas a lo largo de toda la geografía española, estuvieron en activo 9. En total se realizaron 4.480 obturaciones, 749 colocaciones de prótesis completas, 755 endodoncias, 435 implantes y 372 tratamientos periodontales, entre otros tratamientos. Además, conscientes

de la importancia de la educación en materia de salud bucodental, durante 2022 se organizaron 2.268 charlas con el objetivo de inculcar a las familias la importancia de una buena higiene dental y unos hábitos de vida saludables. ●

143 NOTICIAS DE ACTUALIDAD
Gaceta Dental · N o 359 | Septiembre 2023
Clínica Solidaria de Melilla. Imagen: cedida por el Consejo General de Dentistas..

A LOS ARTÍCULOS MÁS DESTACADOS SOBRE CIRUGÍA BUCAL

SECIB entrega sus Premios Científicos

La

Sociedad Española de Cirugía Bucal (SECIB) ha entregado sus Premios

Científicos 2023 en Córdoba, ciudad que acogerá también el XX Congreso de la organización.

El trabajo reconocido como mejor artículo científico publicado en la revista Medicina Oral, Patología Oral y Cirugía Bucal, fue «Comparison of two different lingual flap advancement techniques and vascular structure identification: a human cadaver study», de los Dres. Carlos Noguera Mutlló, Bassel Traboulsi Garet, Octavi Camps Font, María Cristina Manzanares Céspedes, Rui Figueiredo y Eduard Valmaseda Castelló.

El premio al mejor artículo de investigación sobre Cirugía Bucal publicado en revistas de impacto extranjeras ha sido para «Prevalence of periodontitis among the patiens diagnosed with marfan syndrome: a cross-sectional study comparing samples of healthy patiens» (BioMed Research International), firmado por los Dres.

Cosimo Galletti, Jorge Toledano Serrabona, Octavi Camps Font, Gisela Teixido Tura, Inmaculada Llobet Poal, Carles Subirà Pifarré, Luca Fiorillo y Cosme Gay Escoda. Por su parte, los Dres. Gisela C. V. Camolesi,

José M. Somoza Martín, María D. Reboiras López, Fabio Camacho Alonso, Andrés Blanco Carrión y Mario Pérez Sayáns han merecido el premio al mejor artículo de investigación sobre Implantología bucal en revistas de impacto extranjeras, por «Photobiomodulation in dental implant stability and post-surgical healingand inflammation. A randomised double-blind study» (Clinical Oral Implants Reserch).

Por otro lado, la alumna de la Universidad de Sevilla, Paula Hermida Cabrera, ha recibido el Premio SECIB Joven Fin de Grado 2023, por el trabajo «Regeneración ósea espontánea o guiada tras la enucleación de un quiste dentígero en pacientes sin patología sistémica». El acto incluyó una jornada de actualización científica sobre cáncer impartida por los Dres. José Luis Gutiérrez y Guillermo Machuca. ●

CURSO SOBRE LAS APLICACIONES DEL PRGF EN LA ATM

SECIB organizó, en colaboración con BTI Biotechnology Institute, en la Facultad de Odontología de la Universidad de Sevilla (US) un curso sobre aplicación de plasma rico en factores de crecimiento (PRGF) en disfunción craneomandibular. Impartido por el Dr. Eduardo Vázquez Delgado, doctor en Odontología y experto en disfunción creaneomandibular y dolor orofacial, el programa se centró en las indicaciones y el protocolo de empleo del PRGF en la ATM para tratar de reducir la sintomatología y recuperar la funcionalidad.

NOTICIAS DE ACTUALIDAD
Premiados y Junta Directiva de SECIB. Imagen: cedida por SECIB.
Gaceta Dental · N o 359 | Septiembre 2023 144

CON MÁS DE 300 ASISTENTES VITA hace vibrar el sector dental con la tercera edición de VITA Rocks

tiempo, siempre hay nuevos participantes», afirmó el director comercial de VITA Ibérica, Jorge Vizcaíno Luque, que se congratuló del gran interés suscitado por el evento especial de formación continua.

Y hay una razón para ello: el equipo de VITA Ibérica consiguió reunir a 36 empresas dentales para un programa polifacético. Jorge Vizcaíno ve aquí una clara tendencia: «VITA Rocks es cada vez más popular. El atractivo para las empresas del sector y los visitantes ha sido aún mayor en esta ocasión. Estamos seguros de que volverá a aumentar en la cuarta edición».

Sin duda, VITA Ibérica organizó un evento formativo único en su género: 20 expertos nacionales e internacionales compartieron sus conocimientos sobre impresión 3D, tecnologías de escaneado, fresadoras, materiales CAD/ CAM, blanqueamiento, determinación del color dental y mucho más. Los visitantes pudieron confeccionar su propio programa de formación individual a partir de 14 talleres, 6 conferencias de expertos (técnico-dentista) y demostraciones en directo.

Debido al gran éxito de las anteriores ediciones, VITA Ibérica celebró, el pasado 10 de junio, la tercera edición de VITA Rocks. En esta ocasión, más de 300 curiosos aficionados a la Odontología se dieron cita en la ciudad marítima de Alicante, donde presente y futuro del sector dental se reunieron en un ambiente sofisticado.

«A juzgar por las inscripciones, vemos claramente que VITA Rocks es ya una fecha fija en la agenda de muchas personas. Al mismo

Durante las pausas, una completa exposición tecnológica con 21 stands de diferentes fabricantes, ofreció la oportunidad de experimentar en directo los últimos avances innovadores de la industria dental y de conseguir ofertas especiales. Durante las paradas culinarias se establecieron contactos dentales y, como broche de oro, siguiendo la vieja tradición, se roqueó al ritmo de la banda The Hot Tubes.

«Lo mejor fue ver cómo todos nuestros clientes y colaboradores pudieron disfrutar con una sonrisa de esta intensa jornada de formación y que ahora existe una dinámica familiar. Seguiremos», resumió Eva M a Martínez, responsable de marketing de VITA Ibérica. ●

145 NOTICIA DE EMPRESA Gaceta Dental · N o 359 | Septiembre 2023
Más de 300 curiosos aficionados a la Odontología se dieron cita en Alicante. Imágenes: cedidas por VITA.

DR. FABRICIO HINOJOSA,

EXPERTO

EN LÁSER ODONTOLÓGICO

«El láser es la herramienta que soluciona todos los casos clínicos en endodoncia»

lograr un resultado diferenciador. Se podía usar para endodoncia, periodoncia, cirugías, blanqueamiento, descontaminación de tejidos superficiales y profundos y terapias profundas para el dolor.

¿En qué especialidad en particular notó un gran beneficio con esta tecnología?

Donde noté que se lograba un éxito diferenciado era en procedimientos de descontaminación en periodoncia y endodoncia. ¿Por qué razón? Porque las longitudes de onda láser tenían una capacidad de penetración en los tejidos que no se podía lograr con otro elemento o procedimiento. La luz láser nos daba esa peculiaridad: poder hacer una verdadera descontaminación en profundidad.

A lo largo de estos últimos años, el Dr. Fabricio Hinojosa se ha convertido en todo un referente en el uso de tecnologías láser en la práctica odontológica. Hablamos con él sobre la evolución y beneficios de esta poderosa herramienta.

—¿Cómo conoció usted el láser y hace cuánto trabaja con esta tecnología?

—Mi primer contacto con la tecnología láser fue en el año 2004, con la demostración por parte de una casa comercial de un láser de Erbium Yag. Me permitieron probarlo, utilizarlo y ver lo que con él se podía hacer sobre tejidos duros. En el 2008 logré comprar mi primer equipo. Me formé y comencé a aplicar los protocolos que me fueron enseñados. Al poco tiempo, comencé a usar la herramienta en todas las especialidades en las que veía que se podía

Y, al mismo tiempo, veíamos una recuperación acelerada de los tejidos. A los pocos días de realizar un procedimiento en periodoncia, notábamos que los tejidos gingivales volvían a su normalidad. El área que había sido tratada con láser, tenía una recuperación muchísimo más rápida y en mucho mejores condiciones que el área que no había sido tratada con esa tecnología.

En endodoncia, con métodos convencionales, no es posible realizar una descontaminación verdaderamente profunda en casos complejos con lesiones periapicales importantes. Antes debíamos tener a un paciente durante semanas o meses tratándose con químicos intracanal que penetran la estructura dentaria, pero de manera superficial. Con el láser descubrimos que solo esta herramienta puede cubrir la necesidad de descontaminación profunda.

—¿Cómo fue evolucionando su práctica clínica utilizando tecnología láser?

—Con la práctica fui confiando cada vez más

146
ENTREVISTA DE EMPRESA
Gaceta Dental · N o 359 | Septiembre 2023
El Dr. Fabricio Hinojosa, experto en láser odontológico.

en la tecnología láser y comencé a combinar longitudes de onda en los tratamientos, lo cual llevó los resultados de los procedimientos a otro nivel.

En el 2016 dejé completamente de utilizar el hipoclorito de sodio para descontaminación de conductos. A partir de este momento, cada vez más utilicé como sistema de irrigación suero fisiológico y, para la eliminación bacteriana, únicamente el láser.

En el año 2017 obtuve un láser de dos longitudes de onda y observé un éxito superador. Me permitió maximizar los resultados en tratamientos de endodoncia llevando la descontaminación profunda tan necesaria en esa especialidad a otro nivel. Hoy confío plenamente en la biofísica del láser y en la interacción de los sistemas de luz láser con los tejidos. Las diferentes longitudes de onda se absorben de manera significativa en los tejidos y eliminan las bacterias de forma térmica, sin dañar el tejido circundante.

—Entonces, ¿es el láser la herramienta preferida por los endodoncistas?

—No puedo decir que el láser sea la herramienta preferida de los endodoncistas porque no creo que todos ellos cuenten con un láser en su clínica, pero sí puedo asegurar que es la herramienta que va a solucionar de forma ideal todos sus casos clínicos. ¿Por qué? Porque el láser tiene una capacidad que no tienen químicamente los sistemas tradicionales de descontaminación de conductos: la desinfección profunda. Entonces sí debería ser la herramienta predilecta de un endodoncista, o para un clínico general que realiza tratamientos endodónticos simples o de mediana complejidad. Para un endodoncista que realiza tratamientos de alta complejidad, el láser puede evitarle muchas cirugías periapicales que, lamentablemente, se dan cuando tenemos procesos inflamatorios infecciosos que no se resuelven.

—¿Considera que es importante la formación en el uso de la tecnología láser para Odontología?

—La formación en tecnología láser y sus sistemas de implementación no solo es necesaria, sino que es fundamental. Es clave para un profesional que quiere añadir esta tecnología a su práctica clínica. No alcanza con comprarse un equipo, sino que es necesario entender cómo la luz láser y sus longitudes de onda interactúan con los tejidos, tanto duros como blandos, en los diferentes casos clínicos. Además, el entrenamiento no solo debe ser teórico, sino también debe estar basado en mucha práctica clínica.

Hoy en día existen universidades que brindan programas de formación y se han conformado sociedades y asociaciones sin fines de lucro que acompañan al profesional en la incursión en la tecnología láser.

El Fellowship de Láser en Odontología que la Universidad de Génova ha traído a España, en el cual soy parte del cuerpo docente, es un programa de alta formación que recomiendo porque tiene un fuerte foco en la práctica con pacientes desde el primer día. ●

MÁS INFORMACIÓN

Web: www.laserodontologico.com

E-mail: cursos@laserodontologico.com

Tel: 645 563 907

147
ENTREVISTA DE EMPRESA Gaceta Dental · N o 359 | Septiembre 2023

EN EL AUDITORIO EL BATEL DE CARTAGENA

Más de 300 profesionales asistieron al XXVI Congreso Nacional de la SECOMCyC

las técnicas de estética facial más solicitadas y las opciones quirúrgicas en este ámbito como son, entre otras, el refinamiento de la punta nasal o la liposucción facial y la rinoplastia.

Previamente a la apertura del congreso, en el Hospital Santa Lucía se celebró un curso con dos cirugías retransmitidas en directo desde los quirófanos y realizadas, por un lado, por los Dres.

Juan José Haro y Benito Ramos, sobre implantes cigomáticos; y por el Dr. Blas García, sobre la rinoplastia estructural ultrasónica. Ya el programa del Congreso abordó algunas de

Asimismo, las ponencias y conferencias también se centraron en la innovación y las nuevas tecnologías aplicadas al diagnóstico y tratamiento de los pacientes, como las mejoras y ventajas que ofrece la cirugía guiada por imagen o la planificación virtual de estas intervenciones, e incluso la aplicación de la inteligencia artificial en cirugía maxilofacial.

La última jornada estuvo dedicada a los nuevos enfoques para las patologías tradicionales, cirugía 3D y especial foco en la cirugía ortognática, que se encarga de corregir las deformidades dento-craneo-maxilofaciales, para lograr el equilibrio perfecto entre todas las características faciales del paciente. ●

Pistoletazo de salida para SEPES Sevilla’24

La industria dental se reúne para conocer los detalles del Congreso que la Sociedad Española de Prótesis Estomatológica y Estética celebrará en Sevilla en 2024.

La Sociedad Española de Prótesis Estomatológica y Estética (SEPES) presentó ante más de medio centenar de empresas del sector en NUEVO FIBES (Sevilla) la 53 edición de su congreso clínico-científico anual que tendrá lugar del 10 al 12 de octubre de 2024 bajo la presidencia del Dr. Rafael Martínez de Fuentes, vicepresidente de SEPES y profesor de Prótesis Estomatológica de la Universidad de Sevilla.

148 NOTICIAS DE ACTUALIDAD
El XXVI Congreso SECOMCYC se celebró en el auditorio El Batel de Cartagena. Imagen: Región de Murcia.
Gaceta Dental · N o 359 | Septiembre 2023
Los Dres. Rafael Martínez y Guillermo Pradíes, vicepresidente y presidente de SEPES, respectivamente, durante la presentación a la industria de la cita hispalense.

TUVO COMO EJE CENTRAL LA ORTODONCIA MULTIDISCIPLINAR

El 69 Congreso de la SEdO atrae hasta Bilbao a más de un millar de profesionales

aseveró sentirse «sumamente orgulloso de haber podido traer un evento tan importante a casa», deseando que «todos los asistentes disfrutaran tanto con el desarrollo de SEdO Bilbao 2023 como nosotros organizándolo».

Más de un millar de profesionales de la Odontología asistieron en el Palacio

Euskalduna de Bilbao al 69 Congreso de la Sociedad Española de Ortodoncia y Ortopedia Dentofacial (SEdO).

«Estoy más que encantado con la acogida que ha tenido el Congreso, ha sido impresionante», reconoció el doctor Íñigo Gómez Bollaín, presidente de SEdO Bilbao 2023, agregando su satisfacción por la elevada participación de gente joven.

«Bilbao siempre se ha caracterizado por ser una ciudad acogedora, que recibe con los brazos abiertos a gente de todas partes, y creo que eso se ha notado, ya que todo el mundo, desde el congresista más joven al más veterano, se ha sentido bienvenido», destacó el presidente del Congreso. «Todo ha salido estupendamente, tanto las ponencias, presentaciones de casos y talleres, como las salidas y demás actividades sociales», resaltó. Por último, el Dr. Gómez Bollain

Unas palabras con las que se ha mostrado de acuerdo el presidente de la SEdO, el doctor Juan Carlos Pérez Varela, quien además resaltó que «el programa de Bilbao ha sido uno de los más completos y potentes que hemos tenido hasta ahora». «El Dr. Gómez Bollaín y sus compañeros han conseguido reunir a los mejores ortodoncistas de dentro y fuera de España», agregó, indicando también que «cada vez son más los ponentes internacionales que quieren venir a los congresos de la SEdO que, además, no dejan de sumar asistentes».

El Congreso SEdO Bilbao 2023 se centró en la Ortodoncia multidisciplinar como «llave del éxito en el tratamiento del paciente adulto», si bien también se abordaron otros muchos aspectos relacionados con este campo de la Odontología en las ponencias y talleres paralelos. Tal y como destacó el Dr. Pérez Varela, durante la presente edición los asistentes pudieron disfrutar de ponentes como Björn Ludwig, Dan Grauer, Ute Schneider, Lorenz Moser, Itamar Friedlander, Renato Cocconi, Arturo Vela, Eduardo Espinar, Domingo Martín, Miguel Hirschhaut, Alicia Megía, Iratxe Díaz, Elvira Antolín, Manuel Román e Ion Zabalegui, entre muchos otros.

GACETA DENTAL TAMBIÉN ESTUVO PRESENTE

La Tienda Gaceta Dental, como no podía ser de otra forma, también estuvo presente en la zona expositiva con sus más de 200 obras de todas las disciplinas para los profesionales y estudiantes de Odontología. ●

149 NOTICIAS DE ACTUALIDAD
Gaceta Dental · N o 359 | Septiembre 2023
Imagen: cedida por SEdO.

JOSÉ LUIS GONZÁLEZ, RESPONSABLE DE LABORATORIO DE VOCO

Con más de 40 años de experiencia en el sector, Voco se ha consolidado como una compañía de referencia en el desarrollo de materiales para uso odontológico. Hablamos con José Luis González Rufo, responsable de Laboratorio y CAD/CAM de Voco España.

—¿Cómo comenzó Voco en el mundo de la tecnología y de los sistemas CAD/CAM?

—Voco es una compañía dedicada y comprometida con la investigación, desarrollo y fabricación de materiales para uso odontológico. Durante la celebración de la IDS en Colonia en 2017, se presentaron nuestra impresora 3D Solflex y los primeros productos destinados a la producción digital.

—¿Cómo ha sido el desarrollo de Voco en el ámbito del CAD/CAM?

—Nos hemos especializado en los composites para fresado de prótesis tanto definitivas (Grandio) como provisionales (Structur CAD), así como resinas de impresión 3D (V-Print) bajo los estándares de la más alta calidad. Por ejemplo, ninguna de nuestras resinas de impresión 3D se

tiene que mezclar y homogeneizar previamente al proceso de impresión. Además, hemos desarrollado un sistema de producción de prótesis removibles digital denominado CediTEC en el que aunamos la impresión 3D con el fresado y las infinitas posibilidades de individualización que requiere el trato a cada paciente.

—¿Qué aportan los materiales de impresión 3D a la Odontología?

—Pretendemos ofrecer cada vez más una amplia y equilibrada gama de resinas para dinamizar la gestión de los casos y facilitar la precisión que requiere la práctica odontológica; entendida como precisión, la reproducibilidad y capacidad de predicción de resultados en un proceso tan sensible a la técnica como es la impresión 3D. Todo ello, lógicamente, para satisfacción de profesionales y, por supuesto, los pacientes como destinatarios finales de todo nuestro trabajo y dedicación.

—¿Cuál es el campo de acción de los materiales V-Print?

—Tendríamos disponibles, a día de hoy, once resinas de impresión 3D divididas en técnicas para impresión de modelos, calcinable, cubetas o pruebas plásticas; y en biocompatibles como las férulas terapéuticas, guías quirúrgicas, bases de dentadura o provisionales a base de composite. Todas ellas con valores validados en nuestra impresora Solflex y en una cada vez más amplia gama de impresoras de empresas colaboradoras.

—¿Hacia dónde va la impresión 3D para uso odontológico?

—En mi opinión, y desde el punto de vista de un fabricante de materiales como Voco, quizá la pregunta sería: ¿qué es lo que no vamos a poder imprimir? ●

150
ENTREVISTA DE EMPRESA
ESPAÑA
«Voco es una compañía dedicada y comprometida con la investigación»
Gaceta Dental · N o 359 | Septiembre 2023
José Luis González Rufo, responsable de Laboratorio y CAD/ CAM de Voco España.

COMPOSITE FLUORESCENTE PARA ATACHES DE ALINEADORES

• Tallado y extracción seguros bajo luz UV-A

• Aplicación precisa con una fluidez perfecta

• Fotopolimerización a través de un modelo transparente

• Estable y resistente a la abrasión durante todo el tiempo de uso

• Estética agradable los tonos del diente

AlignerFlow LC
VOCO GmbH · Anton-Flettner-Straße 1-3 · 27472 Cuxhaven · Alemania · Línea gratuita 00 800 44 444 555 · www.voco.dental

El Dr. Andrés Blanco afronta la presidencia de SEMO con ganas de trabajar para levantar la Sociedad y la Medicina Oral en España.

—Dr. Blanco, su vinculación con la SEMO viene de años atrás. ¿Cuál diría que han sido los cambios más significativos que ha experimentado la Sociedad en este tiempo?

—Destacaría tres hechos: en primer lugar, la aparición de la revista de Medicina Oral, órgano de expresión de la Sociedad que ha dado visibilidad a los trabajos y actividad investigadora de los socios; en segundo lugar, la organización ininterrumpida de los congresos de la Sociedad; y, en tercer lugar, el ascenso de algunos socios en el campo de la Medicina Oral, que actualmente son referentes mundiales en el diagnóstico y tratamiento de patologías y cáncer oral.

—¿Cuáles son las metas que se marca de cara a esta legislatura a corto y largo plazo?

—Considero necesario que se divulgue la Medicina Oral y que aumenten los cursos de formación. También, vamos a hacer hincapié en dos puntos primordiales: el diagnóstico precoz del cáncer oral y la relación de la boca con la patología sistémica.

Otra labor que vamos a impulsar es la creación de plazas de Odontología en centros sanitarios, tanto hospitales como geriátricos. También vamos a impulsar las relaciones de la SEMO con otras asociaciones sanitarias nacionales e internacionales. Y, por último, daremos visibilidad a la Sociedad en la profesión odontológica.

—¿En qué momento está la Medicina Oral?

—Estamos atravesando malos momentos para

la Medicina Oral. Se ha perdido el interés por esta disciplina en contrapunto con otras. Están desapareciendo profesores de primera línea y el recambio no siempre está asegurado, lo que ha llevado a la pérdida de horas y créditos en grado y a la disminución de cursos de postgrado. Como contrapunto, he de decir que en España contamos con centros de Medicina Oral punteros internacionalmente en investigación y de diagnóstico y tratamiento de patologías bucales, y también con profesionales de altísimo nivel.

—¿Cómo visualiza el campo de la Medicina Oral de aquí a unos años?

—Confío en que la Medicina Oral sea un pilar en la atención odontológica futura y que la actuación del odontólogo sea siempre como el médico de la boca.

152 NOTICIAS DE ACTUALIDAD
DR. ANDRÉS BLANCO, NUEVO PRESIDENTE DE SEMO
«Es necesario que se divulge la Medicina
Oral y aumenten los cursos de formación»
LEE LA ENTREVISTA COMPLETA EN NUESTRA WEB O ESCANEANDO EL QR Gaceta Dental · N o 359 | Septiembre 2023
El Dr. Andrés Blanco, presidente de SEMO. Imagen: cedida por SEMO.

«Invisalign Smile Architect utiliza el lenguaje

El Dr. Luis Ilzarbe, odontólogo general de Valencia, fue uno de los primeros en adoptar Invisalign Smile Architect, el nuevo software de planificación de tratamientos facialmente guiados. En esta entrevista comparte las principales ventajas de la nueva herramienta.

—¿Por qué ha introducido Invisalign Smile Architect en su clínica?

—Los pacientes prefieren dentistas que adopten un enfoque mínimamente invasivo y preserven el máximo tejido posible. Así que, si puedo alinear los dientes para salvar el esmalte, es perfecto. Esto es especialmente importante para mí porque mejora los resultados clínicos y la experiencia de mis pacientes.

¿Cuál es la principal diferencia del software

Invisalign Smile Architect frente al resto de diseño de sonrisas digitales?

Invisalign Smile Architect integra el marco restaurador en el software de planificación del movimiento dental ClinCheck® para determinar mejor la posición final del diente en base a los objetivos protésicos del tratamiento. Es una herramienta multidisciplinar de planificación que además me permite comunicarme más eficazmente con nuestro equipo y pacientes.

—¿Cuál es la curva de aprendizaje del nuevo software?

—Invisalign Smile Architect utiliza el lenguaje natural de los dentistas. Por ejemplo, para la planificación utilizamos líneas faciales, y en Invisalign Smile Architect se encuentran las mismas líneas para ayudar en el proceso de planificación: la línea media, la curva de la

sonrisa, el arco de la sonrisa, la proporción de área entre los centrales, los laterales y los caninos. Es el mismo software ClinCheck®, pero con más opciones y herramientas.

—¿Qué les parecen a sus pacientes las nuevas funcionalidades?

—Cuando explicamos con imágenes a un paciente el tejido dental sano que podemos salvar con un enfoque orto-restaurador mínimamente invasivo, lo entienden a la perfección y lo valoran como la mejor opción para su tratamiento, así que es muy potente hablarles en un lenguaje que entiendan, con herramientas muy visuales que explican y simulan el tratamiento de principio a fin.

—¿Cómo envío el plan de restauración al laboratorio?

—Invisalign Smile Architect nos permite exportar el archivo STL del diseño de la sonrisa, lo que significa que podemos compartirlo con el laboratorio de manera sencilla y eficiente. ●

153 ENTREVISTA DE EMPRESA
natural de los dentistas»
Gaceta Dental · N o 359 | Septiembre 2023
El Dr. Luis Ilzarbe.

DR. JOSÉ LUIS CEBRIÁN, PRESIDENTE DE SECOMCYC

Entrevistamos al Dr. José Luis Cebrián, nuevo presidente de la Sociedad Española de Cirugía Oral y Maxilofacial de Cabeza y Cuello (SECOMCyC), quien nos acerca al presente y futuro de la organización y de la especialidad.

—Dr. Cebrián, la Cirugía Oral y Maxilofacial es aún una especialidad poco conocida. ¿Cómo cambiar esta realidad?

—Es complicado, pero tenemos que hacer todo lo posible por impartir docencia en la Universidad. Lo ideal sería como asignatura troncal, como ocurre en algunas facultades, pero si no, como asignaturas optativas. Para ello es fundamental que aumente el número de nuestros asociados que se inclinen por la carrera docente. En algunas facultades de Medicina no oyen hablar de nosotros en toda la carrera. Si incentivamos las vocaciones docentes, podremos reclamar nuestro lugar.

—¿A qué otros problemas se enfrenta el ámbito de la Cirugía Oral y Maxilofacial?

—Nuestra especialidad es muy amplia y creativa. Hoy existe una tendencia a limitarla a ciertos aspectos más lucrativos. Es necesario recuperar aquello que nos hizo grandes: la cirugía reconstructiva, la cirugía de las deformidades cráneofaciales… No podemos limitarnos. Por otro lado, es necesario fomentar la relación con disciplinas afines, siempre desde el respeto mutuo. Finalmente, es necesario luchar contra el intrusismo. El nombre de nuestra especialidad es muchas veces empleado por profesionales que no son cirujanos maxilofaciales, y eso no lo podemos permitir. En cuanto al futuro, es fundamental mantener y reforzar nuestra presencia en Europa, fundamentalmente en la

UEMS y en las sociedades científicas afines a la nuestra.

—Como responsable del Laboratorio de Gestión 3D del Hospital Universitario La Paz, ¿cómo valora el ‘’boom’’ de la Medicina 3D? —Es una evolución lógica que no tiene vuelta atrás. El punto de equilibrio lo da la sensatez y la flexibilidad. Lo más importante es buscar aquello que sea más preciso, predecible y seguro para el paciente. La que sí debe ser ”analógica” es nuestra relación con los pacientes. Tenemos que hablar, informar y acompañar. Eso no hay máquina que lo sustituya. ●

LA ENTREVISTA COMPLETA EN NUESTRA WEB!

154 NOTICIAS DE ACTUALIDAD
«Si incentivamos las vocaciones docentes podremos reclamar nuestro lugar»
Gaceta Dental · N o 359 | Septiembre 2023
El Dr. José Luis Cebrián.
¡LEE

PROGRAMA

15.00 Bienvenida y presentaciòn del evento - Prof Luisa Fernandez (España)

15.15 -

15.45 Dra Ana Mellado (España)

Cómo nos ayudan las herramientas digitales en el diagnóstico, planificación, y ejecución de los tratamientos con implantes.

15.45 -

16.15 Dra Filipa De Oliveira (Portugal)

M.U.A. VS. OT EQUATOR: Análisis comparativo entre el Multi-Unit Abutment (M.U.A.®) y el OT Equator®, dos componentes dentales ampliamente utilizados en las prótesis dentales.

De hecho, todos los protagonistas del evento, ponentes e invitados, serán profesionales del sector dental, protésicos, profesores y dentistas incluidos .

16.15 -

16.45 Dra Susana David Fernàndez (España)

Materiales dentales plásticos. Disruptores endocrinos y SEP, ¿podemos mejorar?

¡Una oportunidad de discusión y crecimiento a nivel técnico y clínico con un enfoque solidario y un rincón dedicado a la moda!

16.45-

17.00 -

17.00Descanso para una breve paserela de moda

17.30 Dra Gisela Senent (España)

Abordaje clínico de la fractura de un tornillo roto en el interior de un implante

La tarifa de participación incluye:

•Kit de bienvenida

•Entrada al congreso

•Modelo de demostración

17.30 -

18.00 Dra Maria Teresa Chofrè (España)

El Protocolo EsPeSon

18.00-

18.30 Tdp Bettina Cortès (España)

Sistema OT BRIDGE: Una prótesis diferente

•Material didáctico

•Diploma personalizado

Tarifa GOLD 100,00 euros

18.30 -

19.00 Dra Regina Fragoso (Portugal)

Soluciones de retención desde prótesis removible hasta prótesis fija.

Tarifa ESTUDIANTE 75,00* euros

19.00-

19.30 Dra Dea Molla (Italia)

OT EQUATOR: Pilar Universal y Personalizado a la vez, para la Finalización de Prótesis Fija y Removible sobre implantes existentes.

(*) Precio reservado para estudiantes. Es OBLIGATORIO registrarse con la dirección de correo electrónico de la universidad e indicar el número de identificación de estudiante en el apartado de notas en el momento de la compra.

19.30-

20.00Descanso para una breve paserela de moda

20.15

20.15 -

Conclusión de las conferencias, entrega de la recaudación a la organización benéfica

20.30Aperitivo para los participantes

PARA MÁS INFORMACIÓN: Responsable técnico y comercial Rhein83 España

¡ESCANEA EL CÓDIGO QR PARA SABER MÁS

¡El primer congreso internacional de prótesis, implantología y estética íntegramente en rosa!
SOBRE EL EVENTO!
ANTONIO PUGLIATTI - antonio.pugliatti@rhein83.it - +34 676435573 www.rhein83.com/es

CON LA PRESENCIA DE DISTINTAS PERSONALIDADES

El Colegio de Higienistas Dentales de Madrid celebra su 20º aniversario

El espacio CaixaForum fue el escenario elegido para la celebración del 20º aniversario de la institución madrileña.

Entre las autoridades invitadas se encontraban Enrique Ruiz Escudero, consejero de Sanidad de la Comunidad de Madrid -en el momento del acto-; Manuel Troitiño Pelaz, concejal del Área de Sanidad del Ayuntamiento de Majadahonda; Ana María Cuartero Lorenzo,

portavoz de la Comisión de Sanidad en la Asamblea de Madrid; María del Rosario Azcutia Gómez, gerente adjunta de Asistencia Sanitaria; José Enrique Villares, director técnico de Procesos Asistenciales de la Gerencia Asistencial de Atención Primaria del Servicio Madrileño de Salud; y Tomás Gómez Gascón, director de la Fundación de Investigación e Innovación Biomédica de Atención Primaria de la Comunidad de Madrid. Durante el acto, se distinguieron especialmente a aquellas personas que con su dedicación y esfuerzo impulsaron el crecimiento y desarrollo del Colegio, como son: el Dr. Gerardo Gómez, el Dr. Miguel Carasol, Maika Lorenzo y José Luis Gómez. Asimismo, se otorgó un reconocimiento especial a Sol Archanco, presidenta del Colegio Profesional de Higienistas Dentales de la Comunidad de Madrid desde 2003 hasta 2019, por su trayectoria profesional y su incansable defensa de la profesión, siendo una figura fundamental en la creación y desarrollo del Colegio de Higienistas Dentales de Madrid tal como lo conocemos hoy. ●

Nuevo sistema de pulidores para composites, cerámicas, zirconio

156 NOTICIAS DE ACTUALIDAD
Solicite una demostración en su clínica ¡CONTÁCTENOS! Info@ultradent.es La Nueva Generación en lámparas de fotopolimerización Codigo 5973
resina
multiusos
Junta de Gobierno del Colegio de Higienistas de Madrid. Imagen: cedida por el CPHDM.
NOVEDAD
Nueva
temporal
RESINA TEMPORAL 4-IN-1

SE SUPRIMEN LAS ACREDITACIONES PROFESIONALES

La ordenación del Sistema de Formación Profesional trae cambios en la Higiene

La medida responde a la preocupación de la Unión de Colegios Profesionales de Higienistas de España por acreditar a personas sin formación suficiente para realizar las tareas relacionadas con dicha profesión.

El pasado 23 de julio entró en vigor el Real Decreto 659/2023, de 18 de julio, por el que se desarrolla la ordenación del Sistema de Formación Profesional. Dicha norma introduce una importante novedad en la Formación Profesional a nivel nacional como es la supresión de las acreditaciones de las competencias profesionales adquiridas por experiencia laboral u otras vías no formales en las profesiones reguladas como son los Técnicos Superiores en Higiene Bucodental.

De esta forma, «el legislador acoge la reivindicación que la Unión de Colegios Profesionales de Higienistas de España ha

venido realizando de forma constante durante los últimos años, en sus informes y en las reuniones mantenidas con los principales grupos políticos del Congreso, del Senado, de las Comunidades Autónomas y con la Dirección General de Ordenación Profesional».

La Unión de Colegios siempre ha defendido que «si bien el sistema de acreditaciones es una excelente herramienta en otras profesiones, en el caso de los higienistas dentales, supondría un grave riesgo para la salud de la población al acreditar el trabajo de personas que sin formación suficiente hubieran trabajado en la boca de un paciente, lo cual fomentaría además el intrusismo profesional de esta profesión».

Por ello, la Unión había solicitado en sus dictámenes jurídicos y en las reuniones con la Administración, «la modificación legislativa para excluir a las profesiones sanitarias de este sistema, y ha ido informando a los poderes públicos de la concesión que, de forma errónea, se estaba realizando de dichas acreditaciones en algunas Comunidades Autónomas». ●

Consulte a su distribuidor habitual. Más información en www.ULTRADENT.ES

157 NOTICIAS DE ACTUALIDAD
Opalescence™ PF Kit paciente Opalescence BOOST Intro Kit Opalescence GO Kit Paciente BLANQUEAMIENTO PERSONALIZADO BLANQUEAMIENTO MÉDICO DE USO EN CLÍNICA BLANQUEAMIENTO UNIVERSAL HASTA DESCUENTO 25% HASTA DESCUENTO 22% HASTA DESCUENTO 30%

ASISTIERON MEDIO CENTENAR DE DENTISTAS

AEDE celebra sus «Jornadas de Traumatología Dental»

La jornada arrancó con la inauguración a cargo del presidente de AEDE, Leopoldo Forner, y del presidente del Colegio de Odontólogos y Estomatólogos de Cantabria, José del Piñal, antes de dar paso al programa formativo.

TRES PONENCIAS Y DEBATE FINAL

El tesorero del Colegio cántabro, Ignacio Rodríguez, se encargó de las presentaciones de los ponentes de la cita. Fernando Durán-Sindreu, jefe del Departamento de Endodoncia de la UIC, fue el encargado de romper el hielo con su ponencia sobre el «Diagnóstico y manejo de reabsorciones dentales».

Los ponentes, Fernando Durán-Sindreu, María Zanón y Alberto Cabrera, abordaron temas como las reabsorciones o la atención en la dentición temporal.

La traumatología dental volvió a ser la protagonista durante el último evento organizado por la Asociación Española de Endodoncia (AEDE) en el Colegio Oficial de Odontólogos y Estomatólogos de Cantabria. Casi medio centenar de dentistas se dieron cita en Santander para continuar formándose en esta materia de la mano de Fernando DuránSindreu, María Zanón y Alberto Cabrera, que abordaron temas como las reabsorciones o la atención en la dentición temporal.

El programa comenzó con una jornada gratuita dirigida a profesores, deportistas, bomberos, policías y ciudadanía en general, para enseñarles los protocolos a seguir en caso de la salida de un diente tras un golpe en la boca.

La jornada continuó con la intervención de María Zanón, odontopediatra de la Unidad de Traumatología Dental y Autotrasplante de Barcelona, que centró su charla en las consideraciones clínicas de los traumatismos en dentición temporal.

El último ponente fue Alberto Cabrera, el ganador de la beca de posgrado de AEDE en 2021, que trasladó a los asistentes la importancia de una correcta actuación de emergencia en traumatología dental para dar paso a un interesante debate final.

La próxima cita científica de AEDE será su 43 Congreso Nacional, que tendrá lugar en Tenerife del 2 al 4 de noviembre. ●

¡MUCHAS MÁS NOTICIAS DE ACTUALIDAD EN NUESTRA WEB!

NOTICIAS DE ACTUALIDAD
De izda. a dcha., Fernando Durá n-Si ndreu, Leopoldo Forner, Alberto Cabrera, María Zanón y Jenifer Gonzá lez. I magen: cedida por AEDE.
Gaceta Dental · N o 359 | Septiembre 2023 158

En 2013, Todocadcam nació con el objetivo de unificar en un mismo proveedor todos los equipos, tecnología y materiales necesarios para la digitalización de los laboratorios. Hoy, diez años después, hablamos con su CEO, Roberto Molinera, sobre los inicios y el crecimiento de la compañía.

—¿Cuál fue el punto de partida de Todocadcam hace diez años y cómo ha evolucionado desde entonces?

—Todo comenzó con los materiales de fresado. Veíamos que nadie tenía todos los productos fresables en un mismo catálogo y pensamos: «Si Spotify tiene toda la música… ¿por qué no ofrecer nosotros todos los materiales?».

Luego ya introdujimos poco a poco todos los equipos que hoy tenemos en nuestro catálogo.

—¿Cuáles fueron los principales desafíos a los que se enfrentaron en los primeros años de la empresa y cómo los superaron?

—Era una empresa nueva y pequeña y había que pelear contra los «gigantes» del sector. Para

ello, la única forma de demostrar que tú también estás ahí es ofreciendo más que los demás. En nuestro caso, ese «algo» es, sin duda, la calidad.

—Es uno de los abanderados de la digitalización de las clínicas y laboratorios. ¿Qué tal va la cruzada? ¿Nota una mejoría en ese aspecto?

—La cruzada va lenta, pero se está avanzando mucho. Los laboratorios tienen un nivel de digitalización brutal, y ahora le toca a la clínica. Creemos que la digitalización clínica tiene que ir muy de la mano de su laboratorio y de un especialista en CAD CAM. Pero, en general, estamos muy contentos porque sí que se nota un cambio de mentalidad por parte de las clínicas.

—¿Qué características diferencian a Todocadcam de otras empresas en el mercado dental?

—Aunque suene a tópico, buscamos productos de alta calidad y que no sean distribuidos en España por otras empresas. Asimismo, tenemos muy claro que mantener una relación cercana y cordial con nuestros clientes, entender sus situaciones y necesidades e intentar ayudar siempre que se pueda, es también un activo muy importante.

—¿Cuál ha sido el crecimiento más notable de Todocadcam en estos diez años y qué factores han contribuido a ese éxito?

—El crecimiento de materiales como el zirconio y distribuir uno de los mejores del mercado (Aidite 3D PRO) ha ayudado en este crecimiento. Sin embargo, para lograr la fidelidad de los clientes de Todocadcam es importante tener un gran stock y un servicio que funcione muy bien. ●

159 Gaceta Dental · N o 359 | Septiembre 2023 ENTREVISTA DE EMPRESA
«Mantener una relación cercana con los clientes es un activo muy importante»
Roberto Molinera, CEO de Todocadcam.

SUS FACTORES DE RIESGO, OBJETO DE VARIAS TESIS DOCTORALES

Las enfermedades cardiovasculares y periodontales, a estudio en ADEMA-UIB

el diagnóstico precoz del riesgo metabólico en la consulta dental. Los profesores Andrés Martínez-Jover, Hernán Paublini Oliveira, Emilio Martínez-Almoyna Rifá y Joan Obrador de Hevia, dirigidos por los Dres. Arturo López González y Pere Riutord, están desarrollando varias tesis doctorales con unos resultados concluyentes sobre estas patologías relacionadas con los factores de riesgo descritos.

La Escuela Universitaria ADEMA-UIB culmina este año unas investigaciones concluyentes sobre la importancia de las enfermedades cardiovasculares de la población general y su diagnóstico en la consulta dental.

Según ha avanzado el presidente del Consejo Asesor para la Investigación y jefe de Estudios del Grado en Odontología de ADEMA-UIB, el Dr. Pere Riutord, «en nuestro centro, estamos estudiando los factores de riesgo de las enfermedades cardiovasculares, utilizando pruebas antropométricas y signos indirectos de estos trastornos para comprobar y evidenciar que pueden afectar también a la salud periodontal y determinar su pronóstico».

En este sentido, grupos de investigación de la Escuela Universitaria ADEMA están desarrollando las bases de la actuación para

Para el Dr. Arturo López, «la determinación de los parámetros antropométricos es importante para el control del riesgo cardiovascular y estamos evidenciando importantes conclusiones que podrían determinar índices novedosos sobre el riesgo cardiovascular mediante descriptores innovadores que eviten determinaciones más incómodas para el paciente como es la determinación de la glucosa en sangre, aunque sean sistemas de venopunción capilar que ya se empiezan a aplicar en la clínica dental».

Las tesis doctorales que se defenderán este mismo año y otras que están ya trabajando en la misma línea desde la Escuela Universitaria ADEMA-UIB promoverán la detección precoz desde la clínica dental de la diabetes, la hipertensión y los hábitos no saludables de la población general, avalado por investigaciones publicadas en relevantes revistas científicas como Nutrients, Frontiers in Public Health, Scientific Reports y Academic Journal of Health Sciences, entre otras.

El Dr. Pere Riutord ha detallado que «existen más de 15 millones de personas hipertensas y alrededor de 5 millones de diabéticos y muchos de estos pacientes están sin diagnosticar en España. Poner en conocimiento de los odontólogos los factores que predisponen a padecer trastornos cardiovasculares ha sido el principal objetivo de los estudios realizados» ●

160 NOTICIAS DE ACTUALIDAD
Gaceta Dental · N o 359 | Septiembre 2023
De izda. a dcha.; los doctores Andrés Martínez-Jover, Arturo López y Pere Riutord. Imagen: cedida por ADEMA

El Colegio de Dentistas de Bizkaia se adhiere a Promosalud

Agurtzane Meruelo ha resaltado que «como presidenta de un colegio sanitario es un orgullo participar en una iniciativa en la cual los protagonistas somos los dentistas».

Según la presidenta del Colegio de Dentistas de Bizkaia (CODBI), «resulta esencial incidir en los mensajes de que es posible mejorar la salud general desde la consulta dental, contribuyendo también a la detección precoz de enfermedades tan importantes y frecuentes como la diabetes y la hipertensión arterial».

El programa Promosalud, promovido por SEPA, tiene como uno de sus objetivos el cribado de hipertensión arterial no conocida por pacientes que acudan a la clínica dental. El reto es favorecer su implantación a nivel nacional, en muchas de las más de 23.000 clínicas dentales que existen.

En palabras del Dr. Miguel Carasol, «los pacientes que carecen de atención dental regular pueden beneficiarse de la visita a un dentista general o a un especialista en Periodoncia para el examen, la evaluación y el tratamiento pertinente, según sea necesario. La acogida al proyecto está siendo muy buena, no solo por las clínicas dentales, sino por entidades como el Consejo General de Dentistas de España, el Colegio de Dentistas de Madrid, el Colegio de Dentistas de Sevilla y, ahora, el Colegio de Dentistas de Bilbao», ha explicado el Dr. Miguel Carasol. ●

Seremos su único proveedor. Le prestaremos nuestros servicios con una cómoda cuota mensual.

Protección Radiológica

Servicio de Dosimetría

Prevención de Riesgos Laborales

Protección de Datos

Gestión de Residuos Clínicos

Tramitación Documental

Destrucción de Documentación Confidencial

Formación

Confíe en la única compañía que puede ofrecerle soluciones integrales para todos los servicios que necesita.

Le haremos un presupuesto personalizado. Solicite información de nuestras soluciones: info.espana@stericycle.com

| 900 922 903

NOTICIAS DE ACTUALIDAD
PROMOVIDO POR SEPA
stericycle.es
© 2022 Stericycle, Inc. Todos los Derechos Reservados. SRCL06pub032022
¡No lo piense más!

EN LA CATEGORÍA DE CIRUGÍA MAXILOFACIAL El Dr. Juan López-Quiles recibe la Medalla de Oro Mayte Spínola

labor de personas destacadas en los ámbitos de la cultura, el arte, la tecnología y la solidaridad.

La Hacienda de San Antonio en Valencia sirvió de escenario, el pasado 13 de junio, a la ceremonia de entrega de las Medallas de Oro Mayte Spínola 2022.

Ya son ocho las ediciones en las que el Grupo Pro Arte y Cultura, fundado por Mayte Spínola, entrega sus medallas de oro para reconocer la

En su última edición, y dentro del ámbito sanitario, la Medalla en Sanidad le fue otorgada al Dr. Juan López-Quiles. Reputado especialista en Cirugía Oral y Maxilofacial y miembro del Comité Científico y Consejo de Innovación y Excelencia de GD, destacan de su perfil su dilata experiencia docente y clínica, además de su vinculación a organizaciones como el Colegio de Odontólogos y Estomatólogos de Madrid (COEM), la Sociedad Española de Cirugía Oral y Maxilofacial (SECOM) y la Sociedad Española de Cirugía Bucal (SECIB), especialmente.

«Estoy muy orgulloso de recibir esta medalla entre figuras tan relevantes en los ámbitos cultural, artístico, tecnológico y solidario. Es un gran honor para mí, pero también para mis especialidades, la Cirugía Maxilofacial y la Estomatología, a las que me dedico con pasión desde hace más de treinta años», destaca el Dr. López-Quiles. ●

El Colegio de Dentistas de Pontevedra y Ourense apoya la lucha contra el cáncer

La presidenta del Colegio de Dentistas de Pontevedra y Ourense, Adriana Sanz, y el gerente de la Junta Provincial de Pontevedra de la Asociación Española contra el Cáncer, Adolfo Santos Gómez, han firmado un acuerdo de colaboración qiue tiene como objetivos informar y concienciar a la población, promoviendo hábitos de vida saludables para la prevención de esta enfermedad, así como cuidados bucodentales para pacientes oncológicos.

Esa labor pedagógica se extenderá a otros temas mediante la organización conjunta de actividades, jornadas o talleres. Desde la Asociación contra el Cáncer se facilitará al Colegio toda la información y materiales para que pueda colaborar en campañas de formación y prevención. Por su parte, el Colegio difundirá las actividades de la Asociación y promoverá la participación voluntaria de los colegiados en esa tarea. ●

162 NOTICIAS DE ACTUALIDAD
El Dr. Juan López-Quiles -en el centro de la imagen- recibiendo la medalla. Foto facilitada por el Dr. López-Quiles.
Gaceta Dental · N o 359 | Septiembre 2023

RIVA CEM AUTOMIX

FUERZA DE UNIÓN

SUPERIOR, ALTA RESISTENCIA Y MENOR DESPERDICIO

Ideal para cementado de circonio, PFM y bandas de ortodoncia Liberación sostenida de flúor Libre de BPA Estudio: In vitro properties of different resin-modified glass-ionomer cements Prof. Dr. Alessandro Loguercio and Alessandra Reis (Brazil)

BIOMIMETIC FORMULA
*No se trata
una marca comercial registrada de SDI. ESMALTE Y DENTINA - FUERZA DE UNIÓN TRAS 6 MESES Riva Cem Automix MPa 6.9 4.0 Fuji Cem 2* 4.3 2.8 Reylx Luting Plus* 4.3 4.4 Nexus RMGI* 3.2 3.4 7 6 5 4 3 2 1 0 Dentina - 6 meses Esmalte - 6 meses NUEVO CEMENTO OBTURADOR DE IONÓMERO DE VIDRIO MODIFICADO CON RESINA SDI Germany GmbH llamada gratis 00800 022 55 734 www.sdi.com.au facebook.com/sdipola/españa twitter.com/sdi_spain instagram/sdi_spain Contacte con nosotros: Zona Norte/Centro: Carolina 660 987 173 Zona Levante/islas: Nacho 630 767 542 Zona Madrid : Ana 627 005 342 Zona Cataluña: Sandra 696 966 112 Zona Sur: Yann 646 327 969 Atención al cliente: Paloma 00800 022 55 734
de

BASADA EN LA EVIDENCIA CIENTÍFICA

La EFP publica una guía sobre prevención en enfermedades periimplantarias

Basada en la evidencia científica más reciente, la guía de la EFP (Federación Europea de Periodoncia) ofrece un conjunto de recomendaciones para mantener la salud de los tejidos periimplantarios y gestionar de manera efectiva las enfermedades periimplantarias.

Esta guía de práctica clínica de nivel S3 es el resultado del Perio Workshop 2022, una reunión de expertos y partes interesadas organizada por la EFP el pasado mes de noviembre. Tras meses de trabajo, que incluyeron una rigurosa síntesis de la evidencia en 13 revisiones sistemáticas encargadas específicamente y un proceso de consenso integral, se publicó el artículo «Prevención y tratamiento de las enfermedades periimplantarias: la guía de práctica clínica de nivel S3 de la EFP», escrito por el profesor David Herrera y otros, en la revista Journal of Clinical Periodontology (JCP), editada por la EFP.

Según la guía, la prevención de las enfermedades periimplantarias debe comenzar tan pronto como se planifiquen inicialmente los implantes dentales, definiendo las intervenciones en el marco de la «prevención primordial». También incluye recomendaciones de intervenciones preventivas cuando los implantes se colocan quirúrgicamente o se cargan protésicamente. Una vez que los implantes están en función, el paciente debe seguir un programa de cuidado periimplantario de apoyo, que incluye evaluaciones periódicas de la salud del tejido periimplantario e instrucciones de higiene oral.

La detección temprana de las enfermedades periimplantarias facilita el tratamiento, lo hace más rápido y aumenta las posibilidades de éxito.

«Las enfermedades periimplantarias son afecciones inflamatorias altamente prevalentes y su manejo puede ser bastante desafiante», comenta el profesor David Herrera, autor principal del artículo. «Nuestra guía ofrece a los profesionales de la salud oral consejos para el manejo efectivo de las enfermedades periimplantarias. Los autores estamos realmente orgullosos de presentar una guía pionera que informa sobre las prácticas clínicas, los sistemas de salud, los responsables de políticas, los pacientes y el público en general sobre las modalidades más efectivas disponibles para implementar durante la planificación, ejecución y seguimiento a largo plazo de la sustitución de dientes con implantes dentales», añade. ●

164 NOTICIAS DE ACTUALIDAD
Gaceta Dental · N o 359 | Septiembre 2023
Imagen: cedida por EFP.

INICIATIVAS SOLIDARIAS

Dentistas de Baleares y Sevilla revisan la salud bucodental de niños ucranianos

Dentistas colegiados de Baleares y Sevilla han revisado y tratado este verano la salud bucodental de un grupo de niños ucranianos.

Un grupo de 17 niños ucranianos, de entre 6 y 16 años, procedentes de la zona de Chernobyl, han sido visitados por dentistas voluntarios en el Colegio Oficial de Dentistas de Baleares, CODB.

Estas revisiones gratuitas son realizadas, cada verano, gracias al convenio que el CODB ha firmado con la Asociación Per Ells y que tiene como objetivo mejorar la salud bucodental de los niños acogidos en Mallorca durante el verano.

Las Dras. Kinda Halwani y Oksana Nazarkevych han realizado una primera visita a los niños. Las principales intervenciones que se realizan son tratamientos de la caries, tratamientos pulpares y exodoncias, problemas derivados por la falta de hábitos saludables y medios necesarios para atender su salud bucodental.

Desde el inicio de la colaboración entre el CODB y Per Ells, se han realizado cerca de 250 primeras visitas con sus respectivos tratamientos.

SEVILLA: REVISIONES, CONSEJOS Y KITS

Asimismo, el Colegio de Dentistas de Sevilla también colabora con este tipo de iniciativas a través del acuerdo firmado con la ONG Infancia de Nad.

De este modo, una decena de dentistas han prestado sus servicios de forma totalmente desinteresada y, además, han dado consejos de higiene y cuidado bucodental para que aprendan y refuercen la limpieza diaria.

El Colegio de Dentistas de Sevilla también ha regalado a los niños un kit de cuidado bucodental consistente en cepillo, dentífrico y seda dental.

El presidente del Colegio hispalense, el Dr. Rafael Flores, ha resaltado la iniciativa y la intención de la institución colegial de seguir trabajando en el ámbito de la acción social y solidaria, fomentando la atención bucodental dentro de la población más desfavorecida. ●

165 NOTICIAS DE ACTUALIDAD

MULTI-UNIT MINI

Nuevo pilar transepitelial estrecho diseñado para la lucha contra la periimplantitis

Se ha observado radiográficamente que pacientes tratados con implantes dentales, habitualmente sufren una temprana pérdida ósea periimplantaria MBL (Marginal Bone Loss). En el transcurso del tiempo, las pérdidas óseas son mayores, provocando una alta tasa de enfermedades periimplantarias a medio y largo plazo, con la posterior pérdida del implante.

Aunque pueden ser diferentes factores los que desencadenen el fracaso implantológico, el estudio de múltiples autores como Linkevisius, Michelli, Blanco y Galindo, ha demostrado que, probablemente, las características del pilar transepitelial sean determinantes en la estabilidad del hueso periimplantario y, por tanto, en el éxito del tratamiento con implantes. La bibliografía actual sugiere que estos pilares deben ser altos y deben dejar el mayor espacio a su alrededor, para aumentar el volumen del tejido blando. Smart Implant Solutions junto con el Dr. Antonio Romero y la Dra. Macarena

Romero, basándose en estos estudios, realizan el diseño de un nuevo pilar que contribuye a cumplir esos objetivos en el complejo supracrestal y, por tanto, mejora los resultados del tratamiento con implantes.

DISEÑO

El implante ha sido correctamente colocado dentro del hueso y con suficiente grosor óseo a su alrededor para evitar los procesos de estrés oxidativo o necrosis avascular. La biología gestiona el cierre en el exterior para impedir la entrada de las bacterias, responsables de los procesos flogóticos periimplantarios. Esa gestión biológica natural del cierre con el pilar transepitelial crea un espacio de aproximadamente 3 mm de altura tridimensional alrededor del pilar. La naturaleza no lo puede hacer de otra manera. Por tanto, debemos diseñar un pilar que, en geometría y en altura, permita al organismo generar ese complejo biológico supracrestal.

-Geometría externa: atendiendo a la geometría externa, el pilar ideal debería ser convergente hacia coronal para favorecer la migración en esa dirección de los miofibroblastos presentes en el tejido conectivo.

166
PUBLIRREPORTAJE
Gaceta Dental · N o 359 | Septiembre 2023
El MULTI-UNIT mini es un nuevo pilar transepitelial estrecho que ofrece una solución efectiva y segura para combatir la periimplantitis. Su mejora en el espacio biológico supracrestal y su capacidad para prevenir la acumulación de bacterias hacen de este producto una herramienta fundamental en la implantología dental. No cabe duda de que estamos frente a un avance significativo que contribuirá al éxito del tratamiento con implantes.

para aumentar el volumen del tejido blando.

-Altura mínima: en cuanto a la altura, debería permitirnos tener al menos esos 3 mm para la creación del espacio biológico natural. Esto, en muchos casos, solo se podría conseguir con una colocación subcrestal del implante, o con incrementos de tejido blando. En resumen, grosor de esa mucosa que permita su buena vascularización, lo que nos asegura su estabilidad a largo plazo.

CARACTERÍSTICAS

-Altura y convergencia: fabricado en alturas mayores de las habituales en el mercado, atendiendo a la marcada tendencia de colocación subcrestal, así llegamos hasta los 6,5 mm.

Fabricado en alturas mayores de los habituales en el mercado, atendiendo a la marcada tendencia de colocación subcrestal, llegamos hasta los 6,5 mm.

-Plataforma de 3,8 mm: tiene una plataforma de 3,8 mm de diámetro frente a los 4,8 mm del Multi-Unit universal. Esta condición aumenta de forma evidente el grosor horizontal (mejoramos dimensionalmente el espacio biológico horizontal) del tejido alrededor del pilar.

-Multi-Unit estrecho, límite mecánico de resistencia a la fractura: la biología nos lleva a intentar diseños estrechos de estos pilares, para mejorar la cantidad de fibras colágenas alrededor y, en resumen, incrementar la vascularización del sellado mucoso, que nos traerá mayor estabilidad y mayor resistencia a la entrada bacteriana, pero se hace necesario saber dónde está el límite mecánico de resistencia a la fractura, en zonas de gran carga masticatoria, como es en zonas posteriores mandibulares y maxilares.

Los estudios de ingeniería apuntan a la gran resistencia a las roturas que poseen estos pilares, fabricados con Titanio 6AL-4V, Grado 5 de alta resistencia. Están indicados en el sector anterior y en algunos casos del posterior. ●

DRA. MACARENA ROMERO

Licenciada en Odontología por la UEM. Máster en Cirugía Oral, Implantes y Periodoncia.

Estomatólogo (UCM).

Experto en Cirugía Oral, Prótesis y Flujo Digital.

DESCARGA EL CATÁLOGO

167
PUBLIRREPORTAJE
La bibliografía actual sugiere que estos pilares deben ser altos, y deben dejar el mayor espacio a su alrededor, Plataforma de 3,8 mm de diámetro frente a los 4,8 mm del Multi-Unit universal. UMA. DR. ANTONIO ROMERO Médico
Gaceta Dental · N o 359 | Septiembre 2023

HA SIDO ELABORADA JUNTO AL DR. STEVENS SALVA

Nueva guía del COEC sobre urgencias médicas en la clínica dental

La publicación, editada por el Colegio de Odontólogos y Estomatólogos de Cataluña, ha sido elaborada junto al Dr. Stevens Salva, médico anestesiólogo y médico adjunto en el Hospital Vall d’Hebron de Barcelona.

El COEC considera que la publicación «es un documento necesario que todo dentista debe tener a mano cuando está ejerciendo la práctica clínica para que pueda consultarlo rápidamente si es necesario. Es importante estar preparado para poder establecer un diagnóstico adecuado y proporcionar una

adecuada atención básica inicial».

En los 18 capítulos se recogen las emergencias más frecuentes, así como algunas urgencias menos habituales, pero que implican un posible daño importante para el paciente si no se actúa correctamente.

Entre los episodios de urgencia que se encuentran en la Guía de Urgencias Médicas en la Clínica Dental están la resucitación y soporte vital básico, la crisis asmática, el síndrome de hiperventilación, la alergia al gabinete dental, la pérdida de conciencia/síncope vasovagal, la crisis convulsiva en el consultorio dental, la aspiración de cuerpo extraño y el accidente vascular cerebral, entre otros. ●

SOBRE ENFERMEDADES PERIODONTALES Y PERIIMPLANTARIAS

Acuerdo de investigación entre UIC Barcelona y Ticare

La línea principal de investigación es el diagnóstico, prevención y tratamiento de las enfermedades periodontales y periimplantarias. El equipo humano por parte de UIC Barcelona lo integran el Dr. Conrado Aparicio, el Dr. Ramón Pons y el Dr. Alberto Monje. El tratamiento quirúrgico con los implantes Ticare se realizará en la clínica dental Dr. Pi Implants.

El implante dental ha demostrado ser un tratamiento de éxito. Sin embargo, cierto volumen de implantes se pierde debido a la periimplantitis, incluso después de la osteointegración. Según diversos estudios, la prevalencia de periimplantitis varía entre el 18% y el 47% de los pacientes. En concreto,

un estudio realizado en España entre 275 pacientes con datos de 474 implantes con una prevalencia de periimplantitis del 24% en pacientes y el 20% en implantes. Ante la evidencia científica de la importancia de estas enfermedades, el tratamiento de la periimplantitis pretende frenar la pérdida ósea y restablecer y mantener la salud de los tejidos blandos y duros.

El objetivo de este acuerdo de colaboración entre UIC Barcelona y Ticare es precisamente contribuir al conocimiento que mejore los resultados en el tratamiento de la periimplantitis y, en definitiva, redunde en beneficio de la salud periimplantaria de los pacientes. ●

168 NOTICIAS DE ACTUALIDAD
Gaceta Dental · N o 359 | Septiembre 2023

Nace el Club de Socios de Gaceta Dental

¿Quieres posicionarte en el top of mind del sector dental? Si tu respuesta es “sí”, el Club de Socios para empresas de GD es para ti. Queremos impulsar tu marca poniendo nuestros canales de comunicación a tu disposición para que tengas una presencia continuada en el tiempo.

El año 2023 ha llegado cargado de cambios en el mundo de la información y los contenidos. La irrupción de la IA en nuestros mercados y la continuada tendencia de consumo de información en soportes digitales (con récords de uso de smartphones como principal medio de lectura, según datos de Statista) dibujan un escenario con una audiencia más diversa que nunca.

CIFRAS RÉCORD

2022 fue el mejor año de la historia de Gaceta Dental en audiencia digital con más de 3,2 millones de sesiones (Google Analytics), y a la vez nuestra percepción es la de que los eventos presenciales y el canal print siguen siendo muy valorados por estar exentos de los sobreestímulos del mundo digital.

Por eso, este Club de Socios nace para garantizar que las marcas ambiciosas tengan un impacto perenne en esos 3 canales: digital, papel y eventos, a lo largo de un periodo de tiempo continuado y no aislado.

Por eso, más allá de los beneficios directos que formar parte del Club de Socios reportará a nuestros clientes, pertenecer a este grupo dará a sus miembros descuentos únicos en todos los productos publicitarios que organice Gaceta Dental, con especial énfasis en la gran gala de los Premios GD.

BENEFICIOS DIRECTOS

• Aparición en la guía de proveedores gacetadental.com

• Logo en la sección de socios de gacetadental. com linkado a tu web (enlace do-follow)

• 2 entradas exclusivas a los Premios GD

• Logo en la sección de Colaboradores de los Premios GD linkado a tu web

• Presencia como Colaborador en las comunicaciones de los Premios GD

• Merchandising en la bolsa oficial de los Premios GD

• Banner en gacetadental.com durante un mes

• Branding en la revista GD (difusión en print y digital). ●

¿QUIERES MÁS INFORMACIÓN?

El QR que acompaña este texto te llevará a la página en la que puedes contactarnos y descubrir a todas las empresas que ya han apostado por unirse a nuestro Club.

Gaceta Dental · N o 359 | Septiembre 2023 170
NOTICIA DE EMPRESA
UNA HERRAMIENTA PARA IMPULSAR TU MARCA

Descuento 30 % en cualquier acción de comunicación con Gaceta Dental*

Guía de empresas en gacetadental.com

Perfil Premium de empresa destacada en www.busca.dental, nuestra Plataforma de búsqueda geolocalizada de clínicas, empresas, formación y empleo

Banner (300x100px) durante un mes en gacetadental.com

Logotipo en sección «Club de Socios» de gacetadental.com, linkado a tu web

Logotipo en sección «Colaboradores Premios GD gacetadental.com, linkado a tu web y en todo el material promocional del evento.

Para más información, contacta con nosotros en Ana Santamaría • 648 234 766 • ana@gacetadental.com Marta Pérez • 630 369 535 • marta@gacetadental.com Manuela Binotti • 650 587 681 • mbinotti@gacetadental.com ÚNETE AL CLUB
SOCIOS PARA EMPRESAS DE GACETA DENTAL Consigue un año de cobertura en todos nuestros canales de comunicación desde el momento de tu inscripción y otras ventajas exclusivas para miembros
DE
Entrega
VENTAJAS CLUB DE SOCIOS Tarjeta no disponible físicamente 1.950€ (+IVA/año) info.gacetadental.com/club-de-socios
2 entradas a los Premios GD * descuento no acumulable a los obtenidos previamente
de tu merchandising en la bolsa de asistentes a los Premios GD

Congresos

DR. VICENTE FARGA

Presidente del Congreso SEPES Valencia 2023

Del 12 al 14 de octubre, Valencia acogerá la 52 edición del Congreso SEPES, un evento, en palabras de su presidente, el Dr. Vicente Farga, «para conocer las diferentes posibilidades de trabajo con distintas herramientas digitales», de la mano de un «gran plantel de profesionales espléndidos de Norteamérica, Japón, Europa y de los mejores que hay en España». Una cita, en definitiva, para aprender y estar al día en el desarrollo de la profesión.

Bajo el lema «Ya somos digitales, y ahora, ¿qué?», el Congreso SEPES Valencia 2023 pondrá especial atención a los cambios que la tecnología ha provocado en la profesión, intentando responder a cuestiones como: ¿abandonamos lo analógico?, ¿conseguimos lo suficiente digitalmente? o ¿sirve todo lo que se va desarrollando? En este sentido, ¿cómo se ayudará a los congresistas a solucionar estas dudas que les asaltan? ¿Hasta qué grado los profesionales están «perdidos o desorientados» ante esta revolución digital?

—Pretendemos en este congreso que los congresistas puedan conocer diferentes posibilidades de trabajo con diferentes herramientas digitales y con distintas posibilidades de flujo digital para que ellos mismos puedan tomar la decisión más adecuada a sus posibilidades de inversión y necesidades de tratamiento para con sus pacientes. El problema, como vemos, es que ahora mismo es más fácil desorientarse y cada vez será más complicado saber elegir qué es lo que nos conviene. Es importante centrarse en qué tipo de soluciones queremos desarrollar cada uno de nosotros y a qué nos queremos dedicar

172 Gaceta Dental · N o 359 | Septiembre 2023
CONGRESOS. SEPES Valencia 2023

y, dentro de la misma clínica, tener varios profesionales que desarrollen, cada uno, un tipo diferente de soluciones para los pacientes.

—El enfoque del programa será multidisciplinar, ¿qué temas de un modo más concreto se abordarán y quiénes serán los encargados de compartir sus conocimientos y experiencia con los asistentes?

—Tenemos la fortuna de pertenecer a la sociedad científica más avanzada tecnológicamente de España, puesto que todas las herramientas digitales están básicamente dirigidas a realizar, de una u otra manera, productos protésicos, ya sean restauraciones, guías quirúrgicas implantológicas, guías para endodoncia, férulas o placas de descarga, alineadores ortodóncicos, dispositivos de avance mandibular (DAM), etc. Evidentemente, dentro del congreso se van a tratar muchos y diferentes temas relacionados con la oclusión y la función dental; la apnea del sueño; los tallados dentales y las restauraciones; los distintos tipos de prótesis, sobre implantes y sobre dientes; la cirugía guiada de los implantes y los problemas de éstos a lo largo del tiempo; las diferentes técnicas quirúrgicas; la gestión de la clínica; y novedades digitales como la superposición de las distintas capas (dientes, mandíbula, piel y cara) para el mejor estudio de la armonía dentofacial. Para ello, contamos con un gran plantel de profesionales espléndidos de Norteamérica, Japón, Europa y de los mejores que hay en España.

—También habrá talleres a cargo de reconocidos expertos. ¿Qué aprenderán los congresistas y qué podrán poner en práctica en sus consultas?

—Espero que, al día siguiente de finalizar, nuestros colegas asistentes ya puedan poner en marcha gran cantidad de lo aprendido durante el congreso. Los talleres son muy importantes porque no solo ves una ponencia, sino que ves al detalle cómo poder realizar todos los pasos de un proceso.

—Además de la zona de exposición comercial, como novedad en esta edición, los asistentes

podrán disfrutar de un encuentro «after work» o un «lunch simposio» donde se podrá acceder a una presentación de productos de una forma dinámica. ¿Por qué han apostado por esta iniciativa? ¿Qué podrá ofrecer a los asistentes?

—Me pareció una muy buena idea que la industria se pudiera relacionar mucho más cercanamente con sus clientes invitados y de una manera más dinámica e interaccionando mejor con todos ellos de una forma relajada y tranquila al acabar las sesiones del día, con alguna bebida en la mano y manteniendo una conversación mucho más fluida y centrada con los intereses de los profesionales. Al mismo tiempo, pensamos que el mismo concepto era aplicable en el tiempo de la comida, con lo que aprovechamos más horas de trabajo intracongreso para todas las empresas, marcas y laboratorios en su relación con los dentistas.

—Por último, ¿qué les diría a los profesionales del sector -clínicos y técnicos- para que no se pierdan este 52 Congreso de SEPES?

—Es el número 52 de SEPES, una Sociedad que tiene cincuenta y cuatro años de historia. Nos gusta pensar que las nuevas generaciones y también los compañeros con muchos años de experiencia desean aprender y estar al día en el desarrollo de su profesión. Sabemos que hoy día hay mucha oferta en cuanto a cursos y formación y que los calendarios sufren por la falta de huecos, pero hace más de treinta años que pertenezco a esta Sociedad y nunca me he arrepentido de ello. A todos los compañeros les diría que encuentren el tiempo para acudir a SEPES Valencia 23. No se arrepentirán. ●

173 Gaceta Dental · N o 359 | Septiembre 2023 SEPES Valencia 2023. CONGRESOS
«Espero que, al día siguiente de finalizar, nuestros colegas asistentes ya puedan poner en marcha gran cantidad de lo aprendido en el congreso»

FRANCISCO GUTIÉRREZ

Presidente del XXVIII Congreso Anual ACADEN

Con un programa muy variado de ponencias y talleres, la Asociación Científica Andaluza para la Divulgación de la Prótesis Dental (ACADEN) celebra, los días 18 y 19 noviembre, su XXVIII Congreso Anual, una cita, según su presidente, Francisco Gutiérrez, que tiene como objetivo «facilitar el quehacer diario para que el trabajo sea más exitoso».

174
Gaceta Dental · N o 359 | Septiembre 2023
Congresos

Vigésimo octava edición del Congreso Anual de ACADEN, una cita obligada para los profesionales de la Prótesis Dental. ¿Qué objetivos se han marcado en esta ocasión? Cada año será un reto.

—Queremos mantener el número de asistentes y, si es posible, superarlo. Ahora, la asistencia está en alrededor de 400 entre profesionales y estudiantes, contando cada vez más con la presencia de clínicos. Para ello tratamos de confeccionar un programa variado, incluyendo en el mismo varias conferencias compartidas entre TPD y clínico, aspecto que consideramos muy interesante, ya que cuanto más conocimiento tengamos una profesión de la otra, mejores serán los resultados para el paciente.

—¿Qué criterios se han tenido en cuenta a la hora de diseñar el programa científico?

—Procuramos dar variedad al programa, teniendo en cuenta la tendencia cada vez más acentuada hacia lo digital, sin olvidar la parte artístico-analógica de la profesión.

—Nueve ponencias, varios talleres prácticos, además de una amplia exposición comercial constituyen los tres pilares fundamentales del congreso. ¿Qué podrán llevarse a casa los profesionales que acudan a Granada para poner en práctica en sus laboratorios?

—Nuestra intención es que, cuando regresemos al día siguiente al puesto de trabajo, hayamos aprendido algo en el orden técnico que nos facilite el quehacer diario y que nuestro trabajo sea más exitoso. Es por ello que, paralelamente a las nueve ponencias, se harán catorce talleres donde nos mostrarán diversas técnicas, diversos materiales y la oportuna maquinaria para su desarrollo.

Respecto a la exposición comercial, agradecer a todos la fidelidad mostrada durante tantos años y pedir disculpas a los que, por falta de espacio, se han quedado fuera del congreso.

—Los laboratorios protésicos fueron pioneros de la digitalización en el sector dental, pero

también hablamos de una profesión analógica y con un gran componente artístico. ¿Cómo conviven todas estas realidades en el día a día del laboratorio?

—A mediados de los años setenta me invitaron a la presentación que hizo un francés en Málaga sobre el diseño de la prótesis dental con el ordenador. Recuerdo que dicho ordenador era enorme y la pantalla muy pequeña. Cuando terminó la charla, algunos nos lo tomamos casi a broma y nos provocó algunas risas. Se ha digitalizado el diseño, la fabricación y la toma de impresión. Me resisto a perder la analogía en la prótesis y creo que una combinación de los dos sistemas sería lo ideal. La exactitud para el digital; y la individualidad, personalidad y el punto artístico, para el analógico.

—Una de las señas de identidad de los congresos de ACADEN es su magnífico ambiente. ¿Cómo se ha conseguido ese espíritu de compañerismo y tan familiar?

—Creo que es importante la honestidad, la humildad y las grandes dosis de afecto, cariño y agradecimiento a los asistentes de los actos sociales, sea cual sea su participación. Por mi edad, he asistido a muchos congresos y jornadas técnicas y he aprendido qué hacer y no hacer para tratar de hacerlo lo mejor posible.

—Una última frase para animar a sus colegas a no perderse el Congreso ACADEN 2023. —Invito a todos los compañeros, amigos y clínicos, para que los días 18 y 19 de noviembre 2023 nos veamos de nuevo en Granada, donde os esperamos con los brazos abiertos, con el afecto de siempre y con la seguridad de que, aparte de lo que podamos aprender, pasaremos unos días de encuentro, compañerismo y amistad. ●

175 Gaceta Dental · N o 359 | Septiembre 2023 XXVIII
«Procuramos dar variedad al programa, teniendo en cuenta la tendencia cada véz más acentuada hacia lo digital»
Congreso Anual ACADEN. CONGRESOS

Congresos

DR. JOSÉ LÓPEZ LÓPEZ

Presidente de la Sociedad Española de Implantes (SEI)

Los días 24 y 25 de noviembre, la isla de Tenerife acogerá el XXXIII Congreso Nacional y XXVI Internacional de la SEI, una cita científica, en palabras del presidente de la Sociedad, el Dr. José López López, que contará con «prestigiosos ponentes nacionales e internacionales» y donde se tratarán «temas diagnósticos, quirúrgicos, regenerativos y prostodóncicos. Todos ellos de la mano de una Implantología de calidad».

La Sociedad Española de Implantes (SEI) celebra, los días 24 y 25 de noviembre, su XXXIII Congreso Nacional y XXVI Internacional. Con tantas ediciones a sus espaldas, ¿cuál es el secreto para innovar y seguir siendo uno de los congresos clave del sector?

—La Sociedad Española de Implantes es decana -desde su creación hace más de 60 años- en la actualización de los tratamientos implantológicos. Se ha mantenido constante e innovadora, como lo demuestran no solo los 32 congresos previos, sino las múltiples reuniones y cursos que se realizan bajo su paraguas sobre esta temática.

¿Cuál es el secreto? El trabajo y la constancia. Las sucesivas juntas directivas que han conducido la Sociedad han estado siempre ahí, dispuestas a trabajar para conseguir que las técnicas más innovadoras formen parte de sus congresos y sean presentadas, en ocasiones, como primicia en sus eventos.

En este aspecto no podemos olvidar que la SEI ha contribuido, de manera muy activa, a que el tratamiento con implantes dentales se haya convertido en una realidad cotidiana (actualizada y en constante innovación) en la práctica odontológica, en nuestros pacientes; convirtiéndose en una técnica odontológica que soluciona problemas dentales a una gran parte de la población.

176 CONGRESOS.
Gaceta Dental · N o 359 | Septiembre 2023
XXXIII Congreso Nacional y XXVI Internacional SEI

—En esta nueva cita científica se van a abordar los aspectos más actuales en el tratamiento con implantes dentales. También se tendrán en cuenta los últimos avances en el diagnóstico del paciente, las diversas técnicas quirúrgicas para la inserción de implantes, y las restauraciones estéticas y funcionales sobre los implantes. ¿Qué puede adelantarnos sobre los ponentes y los temas que debatirán en sus conferencias?

—Para este congreso, el comité organizador ha trabajado para conseguir un nivel de ponentes envidiable, tanto nacionales (Dr. Vicente

Antonino Daviu, Dr. Juan Blanco Carrión, Dr. Francisco Carroquino Cuevas, Dr. Mariano del Canto Pingarrón, Dra. Bibiana García Marín, Dr. Antonio Bascones Martínez, Dr. Guillermo

Cabanes Gumbau, Dr. Fernando Cebrián

Vicente, Dr. David Chavarri Prado, Dr. Guillermo

Escobar Ruiz, Dr. Luis García Marín, Dr. Javier Gil Mur, Dr. Miguel González Menéndez, Dr. Manuel Martín Luque, Dr. Francisco Naveiras Hernández, Dr. Octavi Ortíz-Puigpelat, Dr. Sergio Rodríguez

Silva, Dr. Alberto Salgado Velázquez, Dr. Javier Gómez Esteban, Dr. Antonio Murillo Rodríguez, Dr. Holmes Ortega Mejía, Dr. Daniel Ostrowicz Kuschnir y Dr. Ángel Orión Salgado Peralvo); como internacionales (Dr. Fernando Arciniegas, Dr. Gerardo Chacón Ramírez, Dr. Ayrton Arcazas, Dr. Lanka Mahesh y Dr. Paulo Henrique Teles de Almeida).

—Por su parte, los jóvenes dentistas interesados en la Implantología oral podrán presentar las aportaciones científicas clínicas y de investigación más importantes de los centros de trabajo y de los postgrados de las universidades españolas y extranjeras. ¿Cómo se verán reflejadas las aportaciones de los perfiles más júnior?

—La posibilidad de presentar los trabajos científicos, por los diferentes grupos nacionales e internacionales que realizan Implantología, se plasma en el formato póster digital y comunicación corta. De esta manera, los diferentes grupos podrán interaccionar en sus diferentes actividades y se facilitarán los trabajos transversales, potenciando no

solo la actividad asistencial, sino también la investigadora. Se establecen varios premios a los mejores trabajos, todas las presentaciones podrán revisarse en la revista SEI, y las premiadas podrán difundirse a través de la página web de la Sociedad y de la revista Avances SEI.

—Asimismo, el apoyo de las empresas del sector de la Implantología oral en el patrocinio del congreso es fundamental. ¿Qué podrán ver los asistentes en la exposición comercial?

—Un congreso no puede concebirse sin el valor humano y de difusión del conocimiento, pero tampoco podría entenderse sin la colaboración de las empresas del sector. En primer lugar, las empresas son, en muchas ocasiones, el motor de la investigación, trabajando en nuevas superficies, conexiones, técnicas, etc. Pero, además, ayudan en la infraestructura del congreso con su colaboración, tanto en el desarrollo de algunas charlas con ponentes de prestigio como con un cierto soporte económico que facilita que, sobre todo, los estudiantes más jóvenes puedan inscribirse.

—Para terminar, ¿por qué no se deberían perder lo profesionales del sector esta nueva edición?

—La Implantología se renueva día a día en un avance constante, en el que es fácil quedarse rezagado si no se está muy atento. Poder asistir en dos días a una revisión de esos avances, es una magnífica oportunidad. Durante dos días podremos escuchar a prestigiosos ponentes nacionales e internacionales, que tratarán temas diagnósticos, quirúrgicos, regenerativos y prostodóncicos. Todos ellos de la mano de una Implantología de calidad. ●

177 XXXIII Congreso Nacional y XXVI Internacional SEI. CONGRESOS Gaceta Dental · N o 359 | Septiembre 2023
«Un congreso no puede concebirse sin el valor humano y de difusión del conocimiento»

Diploma Universitario «Odontología Estética»

Organiza: UCM - Facultad de Odontología.

Dirige: Dr. Carlos Oteo.

Fecha y lugar: de octubre de 2023 a junio de 2024 en la Facultad de Odontología de la UCM.

Teléfono e e-mail: 913 941 906 - odonfpermanente@ucm.es

www.odontologia.ucm.es//f-permanente-cursos

Curso intensivo de Ortodoncia Interceptiva y Ortopedia Dentofacial

Organiza: Ortoplus.

Participan: Dres. Luis Fernando Morales y Luis Gallegos. Fecha y lugar: 27 y 28 de octubre de 2023 en Málaga. https://academy.ortoplus.es/ortopedia

Curso de maquillaje 3D

Organiza: GC Ibérica Dental.

Imparte: Maximiliano Paterlini.

Fecha y lugar: 27 de octubre de 2023 en Barcelona.

Teléfono e e-mail: 916 364 340 - formacion@spain.gceurope.com

https://europe.gc.dental/es-ES/education/courses

Curso 100% mucogingival sobre dientes e implantes

Organiza: Osteógenos.

Imparte: Dr. Hani Elsaheb.

Fecha y lugar: 3 y 4 de noviembre de 2023 en Barcelona.

Teléfono e e-mail: 914 133 714 - formacion@osteogenos.com www.osteogenos.com

27ª edición del Máster de Formación Permanente Avanzado en Prótesis Dental

Organiza: Fundació Lluís Alcanyís – Universitat de València.

Dirige: Dr. Eduardo José Selva Otaolaurruchi y Dra. Lucía Fernández De Estevan.

Fecha: abierta matrícula. Comienza el 12/09/2023. Dos años de duración.

Teléfono e e-mail: 963 864 175 - formaciofla@uv.es

https://go.uv.es/RWJF1QR

Calendario de cursos de certificación

Organiza: Alineadent.

Imparten: Dras. Josefa Castaño, Cristina Monleón y Carolina Valle. Fecha y lugar: 28 de octubre de 2023 (Barcelona). https://academy.alineadent.com/

178 Gaceta Dental · N o 359 | Septiembre 2023 AGENDA Agenda

24ª edición del Máster de Formación Permanente «Odontología Restauradora y Endodoncia»

Organiza: Fundació Lluís Alcanyís – Universitat de València.

Dirigen: Dres. Vicente José Faus Llacer y Vicente Faus Matoses.

Fecha: abierta matrícula. Comienza el 28/09/2023. Dos años de duración.

Teléfono e e-mail: 963 864 175 - formaciofla@uv.es

https://go.uv.es/9WaYDWD

Programa de formación Bioinnovación Dental Academy

Organiza: Bioinnovación Dental.

Fecha: consultar próximas formaciones.

Teléfono: 948 277 430

Se trata de un programa de formación adaptada a cada nivel, de los principales programas de CAD odontológico.

https://bioinnovaciondental.com/

Simposium Internacional de Odontología

Organiza: Colegios profesionales de Odontólogos de Galicia, Consejo Gallego, Galimplant y Endogal.

Ponentes: Juan Alberto Fernández, Antonio Murillo, Carlos Ayala, Víctor Clavijo, Sergio García o Benjamín Martín Biedma, entre otros.

Fecha y lugar: 20 y 21 de octubre de 2023 en la Ribera Sacra (Galicia).

https://www.coelugo.org/simposium-internacional-odontoloxia/

Experto en Ortodoncia Funcional, Aparatología Fija y Alineadores

Organiza: Ortocervera - Instituto de Ortodoncia.

Imparten: Dres. Alberto Cervera Sabater, Isabel Cervera del Río y Mónica Simón Pardell.

Fecha: del 28 al 30 de septiembre de 2023.

Teléfono: 915 541 029

www.ortocervera.com

Certificado Universitario «Cirugía mucogingival avanzada alrededor de dientes e implantes»

Organiza: UCM - Facultad de Odontología.

Dirigen: Dres. Mariano Sanz Alonso e Ignacio Sanz.

Fecha y lugar: de febrero de 2024 a mayo de 2024.

Teléfono e e-mail: 913 941 906 - odonfpermanente@ucm.es

www.odontologia.ucm.es//f-permanente-cursos

VI Jornadas internacionales «Tratamiento interdisciplinar en ortodoncia: flujo digital»

Organiza: Asociación Iberoamericana de Ortodoncistas (AIO).

Conferenciantes: Mauricio González, Ramón Mompell, Arturo Vela, Elvira Antolín, Beatriz y Patricia Solano, Nacho y Vicente Faus.

Fecha y lugar: 27-28 octubre de 2023 en Sevilla.

Teléfono e e-mail: 954 254 718 - congresssvq@atlanta.es

www.jornadasaio.com

180 Gaceta Dental · N o 359 | Septiembre 2023 AGENDA
POSGRADO UNIVERSITARIO IMPLANTOLOGÍA Y REHABILITACIÓN POSGRADO UNIVERSITARIO ORTODONCIA Y ORTOPEDIA DENTOFACIAL DIRIGIDO POR EL DR. DAVID VALERO DIRIGIDO POR EL DR. MANUEL ROMÁN 3 AÑOS 180 ETCS SEMIPRESENCIAL POSGRADOS UNIVERSITARIOS DE ODONTOLOGÍA +34 648 418 072 C/ Retama 7. MADRID L m cepume.com 9 2 AÑOS 120 ETCS SEMIPRESENCIAL

Certificado Universitario «Cirugía Regenerativa en Implantología»

Organiza: Universidad Complutense de Madrid - Facultad de Odontología.

Dirige: Dr. Juan López-Quiles.

Fecha y lugar: 2023, en la Facultad de Odontología UCM.

Teléfono e e-mail: 913 941 906 - odonfpermanente@ucm.es www.odontologia.ucm.es//f-permanente-cursos

Curso modular dedicado a «Endodoncia y reconstrucción»

Organiza: Colegio de Dentistas de Pontevedra y Ourense.

Directores: Manuel M. García Rielo, José Conde Pais y José Ramón García Iglesias. Fecha y lugar: comienza el 6 de octubre de 2023 y se prolonga hasta el 25 de mayo de 2024 en Pontevedra.

https://www.colegiopontevedraourense.com/

Cursos de certificación y Medicina Dental del Sueño

Organiza: OrthoApnea.

Imparten: Dres. Eduardo Vázquez, Javier Albares y Rocío Marco. Fechas y lugares: 20 de octubre de 2023 en Málaga. https://www.orthoapnea-academy.com/

Aligner Pro Academy

Organiza: Instituto de Desarrollo Odontológico Digital (IDEOD).

Dirigen: Beatriz Solano, Fara Yeste y Elvira Antolín. Duración: 12 meses. Inicio en enero de 2024. Modalidad: online. Clases en directo y emitidas en diferido. Tutorización de 12 casos. Teléfono e e-mail: 659 862 391 - formacion@institutoideod.es www.institutoideod.es

Título Experto Universitario en Endodoncia

Organiza: CEOdont.

Imparte: Dr. Juan Manuel Liñares Sixto.

Fechas: el primer módulo se celebrará en abril de 2024.

Consta de 5 módulos.

Teléfonos e e-mail: 915 530 880 - 680 33 83 17 - cursos@ceodont.com

www.ceodont.com

¿Te gustaría aprender o mejorar tu nivel de FOTOgrafía Dental?

Organiza: Fernando Rey FOTOgrafía Dental. Cursos personalizados grupales o individuales. Cursos tanto de nivel clínico como avanzado. Ofrecen diseño de presentaciones, conferencias y comunicaciones modernas, elegantes y dinámicas. www.fotografiadentalfr.com/

182 Gaceta Dental · N o 359 | Septiembre 2023 AGENDA

Digital Sessions

Organiza: Archimedes.

Imparten: Dres. Lucas Queiroz, Beatriz Martín Nieto, Roberto Padrós, Pablo Ramírez y Wenceslao Piedra.

Fecha y lugar: 19 de octubre (Málaga), 9 de noviembre (Tenerife), 16 de noviembre (Valladolid).

Teléfono e e-mail: 660 455 427 - marketingmanager@archimedespro.com http://www.archimedespro.com/FORMACION-Y-EVENTOS

Curso de alineadores

Organiza: Ortocervera - Instituto de Ortodoncia.

Imparten: Dra. Isabel Cervera, Dr. Alberto Cervera y Dra. Mónica Simón. Fecha y lugar: del 2 al 4 de noviembre de 2023 (primer módulo) y del 30 de noviembre al 2 de diciembre de 2023 (segundo módulo).

Teléfono: 915 541 029

www.ortocervera.com

Curso «Composite smile makeup»

Organiza: GC Ibérica Dental.

Imparte: Dr. Javier Tapia.

Fecha y lugar: 27 de octubre de 2023 en Madrid.

Teléfono e e-mail: 916 364 340 - formacion@spain.gceurope.com https://europe.gc.dental/es-ES/education/courses

VI edición Curso modular de técnicas quirúrgicas en regeneración ósea y tejidos blandos «injertos autólogos y xenoinjertos»

Organiza: Osteógenos. Imparten: Dres. Antonio Armijo y Pablo Pavón.

Fecha y lugar: comienza en noviembre de 2023 en Bilbao.

Teléfono e e-mail: 914 133 714 - formacion@osteogenos.com

www.osteogenos.com

Diploma Universitario «Prótesis: estética y tecnología digital UCM»

Organiza: UCM - Facultad de Odontología.

Dirigen: Dres. Ma Jesús Suárez García y Jesús Peláez Rico.

Fecha y lugar: de enero de 2024 a julio de 2024 en la Facultad de Odontología de la UCM.

Teléfono e e-mail: 913 941 906 - odonfpermanente@ucm.es www.odontologia.ucm.es//f-permanente-cursos

Cursos «Blender for dental»

Organiza: Scannice.

Teléfonos: 635 794 697 - 956 302 371

E-mail: info@scannice.com

Descubre todo lo que tiene que ofrecer el software de diseño más rompedor del mercado con estos cursos modulares.

www.scannice.com

183 Gaceta Dental · N o 359 | Septiembre 2023 AGENDA

Aplicación clínica del avance mandibular para el tratamiento de la AOS

Organiza: Ortocervera - Instituto de Ortodoncia.

Imparte: Dra. Mónica Simón Pardell.

Fecha: libre elección.

Teléfono: 915 541 029

www.ortocervera.com

Máster de Formación Permanente en Ortodoncia y Ortopedia Dentofacial

Organiza: Instituto de Desarrollo Odontológico Digital (IDEOD). Programa acreditado por Universidad Nebrija (NFC). Dirige: Dr. Enrique Solano.

Duración y modalidad: 120 ECTS. 3 años. Presencial a tiempo parcial. Sevilla Teléfono e e-mail: 659 862 391 - formacion@institutoideod.es

www.institutoideod.es

Curso de planificación y cirugía guiada

Organiza: Archimedes.

Imparte: Dr. Álvaro García Sedo.

Fecha y lugar: 6 de octubre en Laboratorio Digital Made, Madrid.

Teléfono e e-mail: 660 455 427 - marketingmanager@archimedespro.com

http://www.archimedespro.com/FORMACION-Y-EVENTOS

Diploma Universitario «Implantología clínica: técnicas quirúrgicas y restauradoras»

Organiza: UCM - Facultad de Odontología.

Dirigen: Dres. Guillermo Pradíes, Cristina Madrigal y Arelhys Valverde.

Fecha y lugar: de enero de 2024 a noviembre de 2024 en la Facultad de Odontología UCM.

Teléfono e e-mail: 913 941 906 - odonfpermanente@ucm.es

www.odontologia.ucm.es//f-permanente-cursos

Cursos modulares «Exocad»

Organiza: Scannice.

Teléfonos: 635 794 697 - 956 302 371

E-mail: info@scannice.com

Conviértete en un experto y lleva tus trabajos a otro nivel de la mano de expertos con más de 15 años de experiencia en el sector dental.

www.scannice.com

Diploma Universitario avanzado en Periodoncia

UCM–SEPA

Organiza: UCM - Facultad de Odontología.

Dirigen: Dres. Bettina Alonso Álvarez, David Herrera González y Mariano Sanz Alonso.

Fecha y lugar: de enero de 2024 a julio de 2024.

Teléfono e e-mail: 913 941 906 - odonfpermanente@ucm.es

www.odontologia.ucm.es//f-permanente-cursos

184 Gaceta Dental · N o 359 | Septiembre 2023 AGENDA

6ª edición Diploma en Gestión & Dirección de Clínicas Dentales

Organiza: Plan Synergia.

Fecha y lugar: 28 de octubre de 2023 en Madrid.

Teléfono e e-mail: 625 628 582 - info@plansynergia.com https://plansynergia.com/

Curso de Diseño Digital exocad Symmetrya

Organiza: Archimedes.

Fecha y lugar: 8 y 9 de septiembre, 20 y 21 de octubre y 17 y 18 de noviembre en el laboratorio Symmetrya, Porto.

Teléfono e e-mail: +351 911 521 820 - formaçao@symmetrya.net

www.archimedespro.com

Curso «Principios de bioseguridad en la clínica dental»

Organiza: Euronda.

Imparte: Dra. Gema Maeso Mena.

Fecha y lugar: 29 de septiembre de 2023 en la sede del COEM (Madrid). coem.org.es/cursos

Certificado universitario «Health coaching aplicado a la práctica»

Organiza: UCM - Facultad de Odontología.

Dirigen: Laura Jiménez, María Becerril y Paula Calderón.

Fecha y lugar: de octubre de 2023 a noviembre de 2023 en la Facultad de Odontología.

Teléfono e e-mail: 913 941 906 - odonfpermanente@ucm.es www.odontologia.ucm.es//f-permanente-cursos

Curso «Regeneración ósea: protocolo de uso de hueso autógeno, aloinjerto y otros, en el día a día del implantólogo»

Organiza: Salugraft Dental. Dirige: Dr. Alberto Fernández.

Fecha y lugar: 27 y 28 de octubre de 2023 en Valladolid.

Teléfono e e-mail: 675 389 563 - marketing@salugraftdental.com

https://salugraftdental.com/curso/curso-salugraft-regeneracion-osea-dr-albertofernandez/

XIV Curso de Kinesiología y Posturología

Organiza: SEKMO (Sociedad Española de Kinesiología Médica Odontológica).

Fechas y lugar: 22-23 de septiembre, 27-28 de octubre y 24-25 de noviembre de 2023 en Madrid.

Curso basado en el método GME.

Teléfono e e-mail: 691 684 308 - secretariatecnica@sekmo.es

www.sekmo.es

Gaceta Dental · N o 359 | Septiembre 2023 AGENDA 185

Certificado Universitario «Utilización de implantes cigomáticos en el maxilar atrófico»

Organiza: UCM - Facultad de Odontología.

Dirigen: Dr. José María Martínez González y Dr. Juan López-Quiles Martínez.

Fecha y lugar: noviembre de 2023 en Facultad de Odontología UCM.

Teléfono e e-mail: 913 941 906 - odonfpermanente@ucm.es

www.odontologia.ucm.es//f-permanente-cursos

Alineadores «in-house»: planificación e impresión 3D

Organiza: Ortocervera - Instituto de Ortodoncia.

Imparten: Dra. Isabel Cervera, Dr. Alberto Cervera y Dra. Mónica Simón.

Fecha: inicio en enero de 2024. Dos módulos.

Teléfono: 915 541 029

www.ortocervera.com

Anclaje esquelético: una visión 360º

Organiza: 3M Ortodoncia.

Ponentes: Dres. Esther Olivera, Juan Carlos Pérez Varela, Raúl Ferrando, María Campoy y Vicente Sada.

Fecha y lugar: 6 de octubre de 2023 en Madrid.

https://hybridexcelleremadrid2023.com/hybrid-e-xcellere-madrid-2023/page/ home?lang=es

Curso CAD-CAM/exocad Truncus Docens

Organiza: Archimedes.

Fecha: 4 y 5 de noviembre.

Teléfono e e-mail: 654 171 276 - truncusdocens@gmail.com

www.truncusdocens.com

Curso de planificación 3D y paciente virtual

Organiza: Archimedes.

Imparte: Dr. Wenceslao Piedra.

Fecha y lugar: 15 y 16 de septiembre en Barcelona Dental Institute.

Teléfono e e-mail: 660 455 427 - marketingmanager@archimedespro.com

http://www.archimedespro.com/FORMACION-Y-EVENTOS

Certificado universitario «BOPT: Bases biológicas, clínicas y de laboratorio»

Organiza: UCM - Facultad de Odontología.

Dirigen: Dra. Mª Paz Salido y Dr. Guillermo Pradíes.

Fecha y lugar: noviembre y diciembre de 2023 en Facultad de Odontología UCM.

Teléfono e e-mail: 913 941 906 - odonfpermanente@ucm.es

www.odontologia.ucm.es//f-permanente-cursos

186 Gaceta Dental · N o 359 | Septiembre 2023 AGENDA

Máster en Dirección y Transformación de clínicas dentales

Organiza: Instituto de Desarrollo Odontológico Digital (IDEOD).

Dirigen: Sofía Solano, Pedro de Ahumada y Úrsula Barroso.

Fecha y lugar: octubre de 2023-junio de 2024. Elige tu campus: Madrid o Sevilla.

Teléfono e e-mail: 659 862 391 - formacion@institutoideod.es

www.institutoideod.es

Digital Sessions Compact

Organiza: Archimedes.

Imparte: Diogo Firmino.

Fecha y lugar: 20 de octubre en Logroño.

Teléfono e e-mail: 660 455 427 - marketingmanager@archimedespro.com

http://www.archimedespro.com/FORMACION-Y-EVENTOS

8ª edición del «Curso de gestión de clínica dental»

Organiza: Colegio Profesional de Higienistas Dentales de Madrid.

Fecha y lugar: comienza el 30 de septiembre de 2023 y finaliza el 25 de noviembre de 2023 en Madrid.

Profesorado: José Luis Gómez Gómez, Almudena Rodríguez Ruiz, Antonio Gosálvez Vega, Lola Sánchez, Luis Miguel Sacristán, Sol Archanco Gallastegui y Javier López Alonso.

https://www.colegiohigienistasmadrid.org/masinfo.asp?idcurso=489

Curso «Tratamiento de tejidos antes, durante y después de la cirugía»

Organiza: Salugraft Dental.

Imparte: Dr. Josep Novell.

Fecha y lugar: 7 de octubre de 2023 en Barcelona.

Teléfonos e e-mail: 676 476 091 - 606 569 362 - marketing@salugraftdental.com

https://salugraftdental.com/curso/curso-salugraft-tratamiento-de-tejidos-dr-josepnovell/

Certificado universitario «Inmersión en magnificación y su aplicación en microcirugía»

Organiza: UCM - Facultad de Odontología.

Dirige: Dr. Juan López-Quiles.

Fecha y lugar: curso académico 2023-2024. Facultad de Odontología.

Teléfono e e-mail: 913 941 906 - odonfpermanente@ucm.es

www.odontologia.ucm.es//f-permanente-cursos

Curso «Mínima invasiva en Masterclass»

Organiza: SDI.

Ponente: Dra. Rocío Lazo.

Fecha y lugar: 6 y 7 de octubre de 2023 en Madrid.

E-mail: Spain@sdi.com.au

https://www.sdi.com.au/es-sp/

188 Gaceta Dental · N o 359 | Septiembre 2023 AGENDA

Curso sobre blanqueamiento dental

Organiza: SDI.

Ponente: Mar Romero.

Fecha y lugar: 23 de septiembre de 2023 en el Colegio de Higienistas de Madrid.

E-mail: Spain@sdi.com.au

https://www.sdi.com.au/es-sp/

Ciclo de formación online sobre alineadores

Organiza: Ortoteam.

Fecha y lugar: 29 de septiembre de 2023 en formato online.

Teléfono e e-mail: 629 063 190 - tessa@ortoteam.com

www.ortoteam.com

Diploma de Experto en Odontopediatría clínica

Organiza: Instituto de Desarrollo Odontológico Digital (IDEOD). Programa acreditado por la Universidad Nebrija (NFC).

Dirige: Dra. Asunción Mendoza.

Duración: 20 ECTS. 9 meses.

Modalidad: Presencial. Asiste a clase solo 2 días seguidos al mes. Sevilla.

Teléfono e e-mail: 659 862 391 - formacion@institutoideod.es

www.institutoideod.es

XXVIII Congreso ACADEN

Organiza: ACADEN.

Fecha y lugar: 18 y 19 de noviembre de 2023 en Granada.

E-mail: acaden@hotmail.com

www.acaden.net

Formación de cirugía guiada. Planificación y aplicación clínica

Organiza: Archimedes.

Fecha y lugar: 29 de septiembre en el Laboratorio Symmetrya, Porto.

Teléfono e e-mail: +351 911 521 820 - formaçao@symmetrya.net

www.archimedespro.com

Máster en implantes dentales y rehabilitación

Organiza: CEPUME - Universidad de Alcalá.

Dirige: Dr. David Valero.

Fecha: comienza el 3 de noviembre de 2023.

https://cepume.com/

189 Gaceta Dental · N o 359 | Septiembre 2023 AGENDA

Estancia clínica «Regeneración vertical con membrana no reabsorbible»

Organiza: Salugraft.

Imparte: el Dr. Jorge Lorenzo.

Fecha y lugar: 20 de octubre de 2023 en Cambrils.

E-mail: marketing@salugraftdental.com

https://salugraftdental.com/curso/estancia-clinica-regeneracion-con-membrana-noreabsorbible-dr-jorge-lorenzo/

Cursos de instrumentación quirúrgica

Organiza: Ticare, en colaboración con varios Colegios Oficiales de Odontólogos. En estos cursos se revisan aspectos tan importantes como los fundamentos de un campo quirúrgico, cómo entender un set de cirugía, protocolos correctos de limpieza y clasificación de instrumental o identificación de aditamentos protésicos.

https://www.ticareimplants.com/

Curso sobre blanqueamiento dental

Organiza: SDI.

Ponente: Dra Isabel Giráldez.

Fecha y lugar: 20 de octubre de 2023 en Doktrina Formación, Bilbao.

E-mail: Spain@sdi.com.au

https://www.sdi.com.au/es-sp/

«Odontología en rosa: prótesis y sonrisa entre la armonía y la estética»

Organiza: Rhein 83.

Fecha y lugar: 28 de octubre de 2023 en Alboraya (Valencia).

Teléfono e e-mail: 676 435 573 - nick@rhein83.it - antonio.pugliatti@rhein83.it

https://www.rhein83.com/es/noticias-y-eventos/valencia-28-de-octubre-de-2023/

Curso dedicado a «Gestión dental integral»

Organiza: Colegio de Pontevedra y Ourense.

Dirección del curso: Sonia Carrascal, Nacho Díez y Nacho Tomás.

Fecha: comienza a desarrollarse el 9 de febrero de 2024 y se prolonga hasta el 15 de junio.

E-mail: formacionmodular@colegiopontevedraourense.com

https://www.colegiopontevedraourense.com/

Máster en Ortodoncia

Organiza: CEPUME - Universidad de Alcalá.

Dirige: Dr. Manuel Román.

Fecha: comienza el 3 de octubre de 2023.

https://cepume.com/

190 Gaceta Dental · N o 359 | Septiembre 2023 AGENDA

Retenedores removibles e invisibles Right Retainer

Corus presenta su última innovación: los retenedores removibles e invisibles Right Retainer. Las principales características y beneficios de Right Retainer incluyen: comodidad, ya que están diseñados para ser ultracómodos y adaptarse perfectamente a la boca y los dientes de cada paciente; estética, al ser totalmente transparentes; y ahorro de tiempo, pues una prescripción de Right Retainer contiene 3 retenedores por arcada.

https://www.corusdental.com/es/

Pilar transepitelial de Smart Implant Solutions

Favorece el apoyo de las fibras de colágeno, protegiendo al implante del paso de bacterias. La superficie del pilar está anodizada, dificultando la colonización bacteriana. El hecho de tener microretenciones en la base del pilar, favorece a que las fibras de colágeno se anclen a éste y se mejore la densidad del tejido conectivo, evitando que se formen fibras de colágeno alrededor del implante, haciendo mucho más complicada la periimplantitis.

www.smartimplantsolutions.com

Normon amplía su gama con sus matrices seccionales NiTinTM

Normon, laboratorio farmacéutico de capital 100% español y con más 85 años de experiencia, continúa ampliando su línea restauradora con el nuevo sistema de matrices seccionales NiTinTM fabricado por Garrison. Compuesto por anillos, matrices, cuñas, fórceps y pinzas, es la mejor opción para las restauraciones de clase II.

https://www.garrisondental.com/es

Primescan Connect de Dentsply Sirona

Primescan Connect es un escáner intraoral portátil de calidad premium que ofrece una velocidad, precisión y conectividad increíbles en una configuración para portátil fácil de usar. Se puede usar en flujos de trabajo de restauración, implantes y ortodoncia para aumentar la eficiencia de la consulta, mejorar la experiencia de los pacientes, y fomentar la colaboración entre consultas y laboratorios.

https://www.dentsplysirona.com/en/discover/ discover-by-brand/primescan-connect.html

Smart Care Medinhouse de Archimedes

Medinhouse Smart Care incluye asistencia técnica, mantenimiento, actualizaciones y servicio de producción en caso de avería. Además, desde la compañía se comprometen a responder a tus incidencias en tan solo una hora, con técnicos capacitados y certificados por el fabricante, garantizando un servicio de calidad.

www.archimedespro.com

MT premium, la nueva recortadora de Renfert

Con la recortadora en húmedo MT Premium, Renfert anuncia un cambio de paradigma en el recorte de modelos. La tecnología de esta nueva recortadora de gran rendimiento se basa en las características probadas de la recortadora MT 3 (entre otras, alto rendimiento o limpieza sin herramientas) y ofrece, además, funciones inteligentes, como el foco o el sistema Aqua Stop.

https://product-virtualizer.renfert.com

191 PRODUCTOS
Productos Gaceta Dental · N o 359 | Septiembre 2023

Solución angulada Smart Angle de Smart Implant Solutions

Con una conexión mejorada, evita el coronamiento de los tornillos. También, permite distinguir un tornillo estándar a un tornillo Smart Angle. Las Ti-Bases, bases de Cr-Co y las librerías de implantes están

preparadas para utilizar la solución angulada Smart Angle.

www.smartimplantsolutions.com

ActyColl, nueva membrana reabsorbible de atelocolágeno

ActyColl es la nueva membrana reabsorbible de atelocolágeno tipo I de origen equino de alta pureza ideal para ROG y RTG. Se aplica fácilmente y es totalmente adaptable, ya que su estructura de colágeno proporciona una inmejorable adaptación al defecto, de alta elasticidad, con un grosor de 0,2 mm y es totalmente segura y biocompatible. Además, la membrana ActyColl participa en el proceso de cicatrización ósea in situ

https://salugraftdental.com/noticias/actycollmembrana-reabsorbible-

VITA Ceramics Polishing Set para el pulido optimizado

Con el nuevo VITA Ceramics Polishing Set en dos etapas, VITA Zahnfabrik sigue perfeccionando el pulido de materiales de restauración cerámicos. Entre sus características más destacadas se encuentran su durabilidad, el rendimiento optimizado y la compatibilidad con todo tipo de cerámicas. Los usuarios ya no tienen que recurrir a diferentes kits para pulir cerámicas distintas.

www.vita-zahnfabrik.com/polishing

Prueba de pasividad de Archimedes

En los protocolos de los flujos digitales las pruebas de pasividad se vuelven imprescindibles para el éxito en los ajustes de las estructuras sobre implantes. Archimedes ofrece las pruebas de pasividad en un material rígido, pero, a la vez, fácil de manipular, que además permite pruebas radiológicas.

https://www.archimedespro.com/

Oral-B lanza los nuevos X-filaments

Los nuevos cabezales de Oral-B cuentan con filamentos en forma de X clínicamente probados que se adaptan y llegan a todas las superficies de los dientes para una limpieza más profunda, atrapando la placa que los filamentos normales no pueden alcanzar. Esta nueva tecnología de Oral-B combina distintos tipos de filamentos para proporcionar un cuidado extra de las encías con suavidad para una experiencia de cepillado más agradable y eficaz.

https://www.oralb.es/es-es

Anticipa la sensación de estabilidad primaria con Ticare V2

Ticare V2 es la esencia de Ticare, con un restyling de la geometría externa del implante Ticare. La espiral de doble hilo de estos implantes reduce a la mitad el tiempo de inserción, minimizando así el calentamiento óseo. Además, es un ápice más eficaz, por lo que, gracias a un cono más apuntado, aporta estabilidad primaria adicional. Con este cambio en la geometría externa se consigue mejor estabilidad primaria, menor tiempo de inserción y reducir más el traumatismo.

https://www.ticareimplants.com/

192 PRODUCTOS Gaceta Dental · N o 359 | Septiembre 2023

nos gusta recibir a los que nos visitan.

Queridos amigos todos, os esperamos los próximos días 18 y 19 de Noviembre 2023, con la seguridad que pasaremos unos días de amistad, compañerismo, aprendizaje, divertimento y sobre todo tendremos la oportunidad de volver a vernos para darnos un abrazo.

Afectuosamente: Francisco Gutiérrez . Presidente.

ACADEN:

Comité organizador:

Pdte: Francisco Gutiérrez,

Vice-pdte: Pedro Herrera ,

Secretario: Carlos Plata ,

Tesorero: Manuel Megías ,

Vocal: Luis Mampel,

Vocal: Antonio Maroto

ASOCIACIÓN CIENTÍFICA

ANDALUZA PARA LA DIVULGACIÓN DE LA PRÓTESIS DENTAL

| 18-19 Noviembre 2023 | Granada # agc23

Nuevo sistema de matrices seccionales de

Los nuevos anillos, bandas y cuñas Strata-G™ consiguen resultados inmediatos en las clase II combinando la tecnología 270° Seal™ de para conseguir un sellado periferico total evitando los desbordamietos del composites.

Kit matrices seccionales Matrices Rígidas SG-KH-40: Contenido del kit:

3 anillos Strata-G™ (1x cada SG400, SG500, SG600)

50 bandas Firmes (10x cada FXH100, FXH150, FXH175, FXH200, FXH300)

40 cuñas Strata-G™ (10 de cada SGYL, SGBL, SGOR, SGGR)

1 fórceps para anillos (FXP01)

Precio Lanzamiento: *469€

Para más información y pedidos llame al móvil 630165525 o envíenos un mail a: contactme@garrisondental.com

*precio sin IVA ni gastos de envío *oferta válida hasta el 31/12/23

PT-B

Limpiador dental con aeropulidor

5 funciones en un solo sistema.

Descubra todas las ventajas del nuevo sistema Strata-G™ by Garrison

1.Aeropulidor

Indicado tanto para el tratamiento de la profilaxis supragingival como subgingival.

Limpieza mediante ultrasonidos:

2. Preparación antes de las restauraciones.

3. Tratamiento periodontal.

4. Tratamiento endodóntico.

5. Mantenimiento de implantes.

193
DE ENCARTES. Gaceta Dental 359
DIRECTORIO
ACADEN FALDÓN.indd 1 20/07/2023 9:17:35
@sanhigia_yt
“La unidad PT-B me facilita realizar tratamientos tanto terapeúticos como preventivos, realizando un protocolo de trabajo eficaz y menos invasivo que los modelos tradicionales.
@Sanhigia
ADES923
GD
26/07/2023 13:19:47 Gaceta Dental · N o 359 | Septiembre 2023
Garrison - DIRECTORIO DE ENCARTES.indd 1

CALENDARIO

DE CONGRESOS

Calendario de congresos

SEPTIEMBRE 2023

SECIB Córdoba del 21 al 23

II Congreso de Alineadores y N. Tecnologías Santiago de Compostela del 21 al 23

FDI World Dental Congress Sídney del 24 al 27

OCTUBRE 2023

SEPES Valencia del 12 al 14

SEOENE Murcia días 27 y 28

HIDES Valladolid días 27 y 28

NOVIEMBRE 2023

AEDE Tenerife del 2 al 5

SESPO Valencia días 10 y 11

SEOE Valencia día 10

SEMDES Córdoba del 16 al 18

OMD Lisboa del 17 al 19

ACADEN Granada días 18 y 19

SEI Tenerife días 24 y 25

FEBRERO 2024

AAMADE Madrid días 9 y 10

SOCE Málaga días 16 y 17

SELO Zamora días 23 y 24

MARZO 2024

EXPODENTAL Madrid del 14 al 16

SEOII León del 14 al 16

ABRIL 2024

SEOC Sitges del 10 al 13

MAYO 2024

SEOP Girona del 9 al 11

SEGER Barcelona del 9 al 11

SEDCYDO Sevilla del 16 al 18

SECOM CyC Salamanca del 16 al 18

SEPA Bilbao del 30 al 1

194 Gaceta Dental · N o 359 | Septiembre 2023

Consiga una estética de alta calidad. Maximice la eficiencia.

directas

Con nuestra cartera de productos de vanguardia, puede aumentar la eficiencia de su flujo de trabajo de obturaciones[1-4] mientras crea hermosas sonrisas para sus pacientes.

ivoclar.com Making People Smile
[1] N. Ragazzini, Comparison of restorative time of direct fillings class & II placed with traditional layering technique or bulk layering technique, Clinical Report, Bologna, 2020. [2] A. Lebedenko, Comparative fillings: Conventional layering technique versus 3sCure two-layer technique, Test Report, Ivoclar Vivadent, 2018 [3] L Enggist, Comparison of conventional workflow in direct filling therapy with 3sCure System: Time need in three different German dental offices, Test Report, Ivoclar Vivadent, 2020. [4] N. Lawson, Clinical evaluation of a bulk fill resin composite, 24-month report, Study Report, Birmingham (US), 2020.

Potencia sin precedentes

Nuevas Turbinas Neumáticas Ti-Max Z

Potencia 44W

• Cabezal en ángulo de 100°

• Cuerpo de Titanio con DURAGRIP Resistente a arañazos

• Rodamientos de Cerámica

• Óptica de Vidrio Celular

• Portafresas Push Botton

• Spray Quattro

• Sistema de Cabezal Limpio

• Parada rápida

• Microfiltro

• DYNAMIC POWER SYSTEM

• DURAPOWER CHUCK

• Fácil cambio de cartucho

Cabezal Estándar

• Potencia: 44W

• Velocidad: 280.000-360.000 min -1

• Tamaño del Cabezal: ø12.1 x H 12.7 mm

799€*

1.690€*

Conexión NSK

MODELO Z890L

REF. PA2372

Conexión KaVo® MULTIflex®

MODELO Z890KL

REF. PA2374

Cabezal Miniatura

• Potencia: 41W

• Velocidad: 320.000-400.000 min -1

• Tamaño del Cabezal: ø10.6 x H 10.8 mm

799€*

* Los precios no incluyen IVA . Ofertas limitadas hasta el 31 de diciembre de 2023 o hasta fin de existencias.

MODELO
Conexión
MODELO
REF.
1.690€* Conexión KaVo® MULTIflex®
Z990KL REF. PA2375
NSK
Z990L
PA2373
NSK Dental Spain S.A. www.nsk-spain.es Módena, 43 · El Soho-Európolis · 28232 Las Rozas de Madrid · tel: +34 91 626 61 28 · e-mail: info@nsk-spain.es

Oferta

DESDE EL 1 DE SEPTIEMBRE HASTA EL 31 DE OCTUBRE DE 2023

¡Flash Renove! CIRUGÍA

¿Estás pensando en renovar tu instrumental quirúrgico? Ahora es el momento. NSK ofrece la oferta Flash Renove: envíanos tu viejo instrumento, de cualquier marca, a NSK Dental Spain y te ofreceremos un descuento exclusivo en la compra del SG20 o X-SG20L.

Opción 1

Plan renove: 200€

MODELO SG20

REF. C1010

•Sin Luz

•Reducción 20:1

539€*

739€*

1Contacta con tu distribuidor de confianza para solicitar la oferta

¿Cómo disfrutar de la oferta?

2Envía tu viejo instrumento a NSK Dental Spain junto con un formulario de información

Opción 2

Plan renove: 300€

MODELO X-SG20L

REF. C1003

•Con Luz

•Reducción 20:1

779€*

1.079€*

3Disfruta de nuestro descuento exclusivo

Oferta válida desde el 1 de septiembre hasta el 31 de octubre de 2023.

¡Aprovéchala ahora!

* Los precios no incluyen IVA . Ofertas limitadas desde el 1 de septiembre hasta el 31 de octubre de 2023 o hasta fin de existencias.

¡Síguenos! NSK Dental Spain NSK Dental Spain NSK Dental Spain
www.radhex.es comercial@radhex.es 900 350 450

Turn static files into dynamic content formats.

Create a flipbook
Issuu converts static files into: digital portfolios, online yearbooks, online catalogs, digital photo albums and more. Sign up and create your flipbook.