Gaceta Dental - 358

Page 1

Núm. 358 Junio/Julio 2023 | 6,50€ gacetadental.com

ESPECIAL IMPLANTES

Protagonistas

Dr. Javier Gil Mur, coordinador de la Red Nacional sobre Implantoplastia

A fondo

Puesta al día en implantes cigomáticos

Ciencia y clínica

Implantes híbridos, implantología monofásica, técnica "Socket Shield"...

Tecnología

Planificación digital y cirugía guiada para dummies

Núm. 358 Junio/Julio 2023 | 6,50€ gacetadental.com

ESPECIAL IMPLANTES

Protagonistas

Dr. Javier Gil Mur, coordinador de la Red Nacional sobre Implantoplastia

A fondo

Puesta al día en implantes cigomáticos

Ciencia y clínica

Implantes híbridos, implantología monofásica, técnica "Socket Shield"...

Tecnología

Planificación digital y cirugía guiada para dummies

Aparatología con microtornillos Una nueva forma de controlar la disyunción y la distalización palatina DESCARGA NUESTRO CATÁLOGO COMPLETO Visor de Planificación digital con CBCT Guías de inserción Máxima compatibilidad (+34) 952 212 174 · info@ortoplus.es · www.ortoplus.es tad.ortoplus.es
Desde el laboratorio Ávila Mañas S.L. todos nuestros esfuerzos van dirigidos a garantizar la mejor calidad y no el precio más bajo. Sabemos que la calidad, seriedad y garantía tienen precio Avila Mañas. Advanced Aesthetics & Fundation | C/ Ramón Calabuig 57, 28053-Madrid. Spain Tel.: +34 91 478 21 83 | Fax: +34 91 477 77 16 labavila@avilam.com | www.avilam.com ESTRUCTURA CAD-CAM FRESADA ESTRUCTURA FRESADA CAD-CAM CON CERÁMICA PERSONALIZADA CIRCONIO CERÁMICA PERSONALIZADA CIRCONIO CERÁMICA SOBRE IMPLANTES CARILLAS PERSONALIZADAS CORONAS E-MAX CAD-CAM FRESADAS CORONAS INDIVIDUALES E-MAX CAD-CAM

Núm. 358 Junio/Julio 2023 | 6,50€ gacetadental.com

Y tú, ¿de qué equipo eres?

El pasado 17 de mayo, y aun teniendo como contraprogramación la semifinal decisiva de Champions que enfrentaba al Manchester City y al Real Madrid, Proclinic Group celebró su cuarenta aniversario en el Casino de Madrid con un buen número de amigos del sector, entre los cuales tuve el honor de estar. El encargado de abrir el acto fue el consejero delegado de la empresa, Antonio Alfonso, quien orgulloso compartió con los presentes los grandes hitos alcanzados por la empresa, fundada por Julián Raneda, en sus cuarenta años de vida. Y especialmente los del ejercicio 2022, año en los que la compañía ha alcanzado su récord de facturación.

ESPECIAL IMPLANTES

Protagonistas

Dr. Javier Gil Mur, coordinador de la Red Nacional sobre Implantoplastia

Tras sus palabras, fue el turno del divulgador tecnológico Marc Vidal, quien nos animó a reflexionar sobre la digitalización y nuestro papel en el futuro. Un discurso motivacional en el que no podían faltar como ingredientes la Inteligencia Artificial o el Chat GPT, y consejos introducidos con un «hay que» «afrontar el reto más que el riesgo», «ver la tecnología como aliada» o «abrazar el cambio».

Sus palabras y mensajes fueron tema de conversación con muchos

de los invitados al cumpleaños en el momento del cóctel. Y ahí, a modo de demoscopia, comprobé temores, entusiasmos, negacionismos… Un reflejo de la sociedad que se divide entre quienes piensan que todas estas herramientas son la panacea, los que afirman convencidos que van a ser sustituidos por máquinas y los que creen que esto de la innovación se nos está yendo un poco de las manos y que no hay que obviar los peligros que estos avances entrañan. Como en tantas otras cosas, la regulación va un poco tarde, aunque está claro que llegará. De momento, y aunque confieso que a veces siento un hartazgo tecnológico que me hace ondear la bandera analógica, aprovechémonos de los avances que la innovación nos brinda a todos los niveles, profesional y personal. Son retos que nos exigen esfuerzos y sacrificios, pero en el continuo aprendizaje, en los valores, en nuestros sentimientos o en el humanismo, entre otros muchos puntos, propios de la carne y el hueso, está nuestro mayor aval.

Implantes híbridos, implantología monofásica, técnica "Socket Shield"... Tecnología

Planificación digital y cirugía guiada para dummies

Gaceta Dental · N o 358 | Junio/Julio 2023 Y tú, ¿de qué equipo eres? CARTA ABIERTA
Carta
abierta
A fondo
Puesta al día en implantes cigomáticos
Ciencia y clínica

Índice de anunciantes

Gaceta Dental · N o 358 | Junio/Julio 2023 4 ÍNDICE DE ANUNCIANTES.
Gaceta Dental 358
3SHAPE 174 -175 AGUILERA DENTAL 183 ANCLADÉN 87 ASDENT 89 ÁVILA MAÑAS Int. Po rtada AVINENT 59 BIOHORIZONS 49 y 19 6-197 BIOINNOVACIÓN 93 y 18 8-189 BTI 9 BUKORENT 176 CATALANO CLÍNICAS ODONTOLÓGICAS 96-97 CLÍNICA SICILIA 33 CLINICA UNIVERSITARIA DE LA URJC 115 CLUB CLÍNICO 178-179 CNC DENTAL 81 DENTALDIGIDENT 209 DIRECTA DENTAL 61 ECKERMANN 40-4 3 EM EXACT 25 ESDOC BUSINESS SCHOOL 155 EXPADENT 213 FUNDACIÓ LLUÍS ALCANYÍS 105 GECKO 199 GRUPO KALMA 147 HEKA DENTAL 173 I2 IMPLANTOLOGÍA 137 IDEOD 181 INVISALIGN 185 IPG DENTAL 125 IVOCLAR Int. C ontraportada LABORATORIO DROIDENT 191 NSK Despl . contraportada ORTOPLUS Portada OSSTEM 163 OSTEÓGENOS 85 RADHEX 68-69 RD EXPRESS 195 RUMAR 5 y 11 SECIB 63 SEDO 219 SEPA 167 SIMPLERAPID 77 SINEDENT 204-207 SMART IMPLANT SOLUTIONS 73 TECHNOLOGY IN BIOMATERIALS 141 TICARE 7 UIRMI - FUNDACIÓN ANITÚA 53 ULTRADENT 193 VITA 200-201 y Contraportada VOCO 145 ZIACOM 133 ENCARTES INFOMED SANHIGÍA SEPES

19 años al servicio de distribuidores y servicios técnicos dentales

TU INVERSIÓN MÁS RENTABLE TU INVERSIÓN MÁS RENTABLE

ESCALADOR ULTRASÓNICO + AEROPULIDOR

AP-B

- Solución combinada y completa para una profilaxis perfecta

- Ultrasonidos: con luz LED, diseñado para tratamientos de profilaxis, periodoncia y endodoncia.

- Aeropulidor versátil 2 EN 1: Función Supragingival y Función Subgingival

- Potencia y precisión.

- Función de autolimpieza , diseñado para que nunca se atasque.

PVP: 1.880,00€

GARANTÍA: 2 AÑOS

GRATIS 3+1* 3+1*

*Promoción válida en pedidos de la misma referencia

IMPORTADOR MAYORISTA PARA LA PENÍNSULA IBÉRICA
+ Info
por tu distribuidor o servicio técnico más cercano
BICARBONATO & GLICINA

Especial implantes

–Cirugía asistida por ordenador. Sistemas de navegación en Implantología, por el Dr. Adrià Jorba García y cols. [44]

–Planificación de cirugía guiada de implantes con sistema de guía quirúrgica sin anillas metálicas: a propósito de un caso clínico, por el Dr. Antonio García Sanz y cols. [64]

–Implantología monofásica, una herramienta más en Rehabilitación oral, por el Dr. Carlos Polis Yanes y cols. [78]

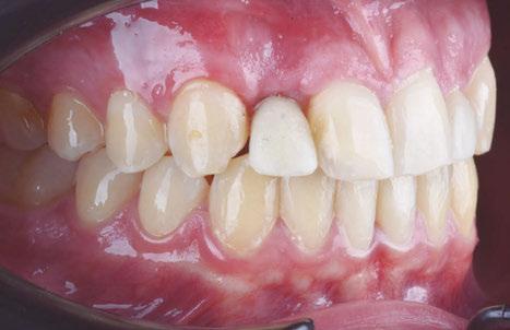
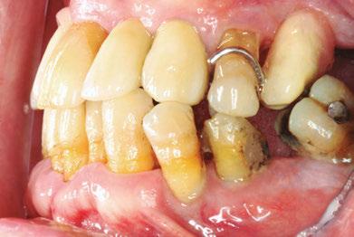
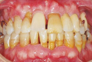
–Implantes híbridos en pacientes con antecedentes de periodontitis, por el Dr. Antonio Arnau y cols. [90]

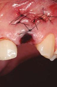
–Implante inmediato en incisivo lateral superior con técnica de «Socket Shield» y acceso vestibular para legrado de la lesión periapical, por el Dr. Ignacio Tormo Jiménez y cols. [106]

«Y tú, ¿de qué equipo eres?», por Gema Bonache.

Más ciencia y clínica

Magnificación y ergonomía en Odontología: un enfoque multidisciplinar, por Diana Bravo y cols.

6 Gaceta Dental · N o 358 | Junio/Julio 2023 SUMARIO SUMARIO Carta abierta A
puesta
implantes cigomáticos
fondo Una
al día en
3 20
30
Protagonistas
Ciencia
Dr. Javier Gil Coordinador de la Red Nacional de Implantoplastia
y clínica 44
116

único concientíficaevidencia

el riesgo de periimplantitis

Comprometidos con la salud periimplantaria de tus pacientes

gapZero ticare
ticareimplants.com

Protocolo Di2gitalArch® 2.0: Carga inmediata en el día en maxilar superior atrófico. Con Ziacom Galaxy, por el Dr. Luis Cuadrado Canals.

La enfermedad periodontal. Factor riesgo de enfermedades sistémicas (y II). Revisión especial sobre la enfermedad de Alzheimer, por Carmen Solves Tarín.

Noticias

Planificación digital y cirugía guiada para dummies. Cómo confeccionar una guía quirúrgica de un modo predecible, por el Dr. Giuliano Fragola.

Congresos XX Congreso SECIB Córdoba

8 SUMARIO Digital al día
126 Higiene dental 138 156
Rincón digital 164
214
Gaceta Dental · N o 358 | Junio/Julio 2023

Bioblock®

La mejor elección para la prevención de la periimmplantitis, gracias al hermetismo, un sellado biológico con mejor vascularización y a su simplicidad protésica.

Aumenta la rentabilidad de tu consulta utilizando la solución de implantes BTI CORE®. Su plataforma protésica unificada permite reducir sensiblemente tu inversión en componentes protésicos, minimizando errores en el proceso restaurativo y posibilitando un protocolo más rápido y sencillo.

Flexibilidad sin prededentes

6 diámetros de implantes / 9 longitudes desde 4,5 mm.

BTI Biotechnology Institute · Tel: (+34) 945 140 024 | bti-biotechnologyinstitute.es
Descubre su rentabilidad

EDITA

Peldaño DIRECTORA

Gema Bonache gbonache@gacetadental.com

PUBLICIDAD

Ana Santamaría ana@gacetadental.com

Marta Pérez marta@gacetadental.com

BUSINESS UNIT MANAGER

Miguel Ángel Cañizares miguelangel@gacetadental.com

BUSINESS UNIT CONTROLLER

Daniel Navarro dnavarro@peldano.com

REDACTORA JEFE

Gema Ortiz gortiz@gacetadental.com / redaccion@gacetadental.com

COPYWRITERS

Beatriz Ruiz brcorvillo@gacetadental.com

Sandra Rodríguez srodriguez@gacetadental.com

DISEÑO

Débora Martín

SUSCRIPCIONES Y DISTRIBUCIÓN

Remedios García

Laura López suscripciones@peldano.com

902 35 40 45

JEFE

OFICINAS Y REDACCIÓN Avda. Manzanares, 196 28026 Madrid 91 476 80 00

CONSEJO DE INNOVACIÓN Y EXCELENCIA

IMPRIME mccgraphics Txirrita-Maleo Biribil, 11 20100 Errenteria, Gipuzkoa

REDACTORA

Patricia Merino pmerino@gacetadental.com

TIENDA GD

Francisco Soriano paco@gacetadental.com

Jorge Cacuango jorge@gacetadental.com

DEPÓSITO LEGAL

M.35.236-1989

ISSN

1135-2949

CIENCIA Y CLÍNICA: Dr. José Aranguren, Dra. Estefanía Laguna, Dr. Juan López-Quiles, Dra. Estefanía Moreno, Dr. Jesús Peláez Rico, Dr. Luis Segura-Mori · FORMACIÓN Y CONOCIMIENTO: Dr.Juan Carlos Vara, Dra. María José Muñoz, Dr. Simón Pardiñas · TECNOLOGÍA E INNOVACIÓN: Dr. Luis Cuadrado de Vicente, Dra. Irene García

INTERNACIONAL: Dr. Joao Caramés, Dr. Cristian Abad

Presidente: Ignacio Rojas · Director Financiero y de Talento: Daniel R. Villarraso · Director de Eventos: David Rodríguez · Director de Marca y Estrategia: Eneko Rojas · Director de Estrategia de Contenidos: Adrián Beloki · Directora de Estrategia Digital Comercial: María Rojas · Chief Digital O icer: Pau Colás

Los artículos científicos y clínicos que se publican en Gaceta Dental son supervisados por un grupo de expertos en las distintas ramas de la Odontología. Gaceta Dental no se identifica necesariamente con las opiniones expresadas libremente en sus páginas por los colaboradores.

Publicación autorizada por el Ministerio de Sanidad como soporte válido. Ref: S.V 89057 R. Premio aeepp a la mejor revista de 2008 | 1er Accesit al Mejor Editor, años 2004 y 2007 | Premio «Pro-Odontología» de la Sociedad Catalana de Odontología y Estomatología (scoe) 2009 | Premio «Fomento de la Salud» del Consejo General, 2005 | Premio del Colegio de Protésicos de la Comunidad de Madrid a la Trayectoria Profesional 2009 | Insignia de oro Colegial del COEM 2013.

AVISO LEGAL Y TRATAMIENTO DE DATOS

La opinión de los artículos publicados no es compartida necesariamente por la revista, y la responsabilidad de los mismos recae, exclusivamente, sobre sus autores. Cualquier forma de reproducción, distribución, comunicación pública o transformación de esta obra solo puede ser realizada con la autorización de sus titulares, salvo excepción prevista por la ley, y en el caso de hacer referencia a dicha fuente, deberá a tal fin ser mencionada

GACETA DENTAL editada por Peldaño, en reconocimiento de los derechos regulados en la Ley de Propiedad Intelectual vigente, que como editor de la presente publicación impresa le asisten. Los archivos no deben modificarse de ninguna manera. Diríjase a CEDRO (Centro Español de Derechos Reprográficos) si necesita fotocopiar o escanear algún fragmento de esta obra (www.conlicencia.com / 917 021 970 / 932 720 445).

De conformidad con lo dispuesto en el Reglamento (UE) 2016/679 del Parlamento Europeo y del Consejo, de 27 de abril de 2016, relativo a la protección de las personas físicas en lo que respecta al tratamiento de datos personales y a la libre circulación de estos datos y por el que se deroga la Directiva 95/46/CE, y de conformidad con la legislación nacional aplicable en materia de protección de datos, le recordamos que sus datos están incorporados en la base de datos de PELDAÑO MEDIA GROUP, S. L., como Responsable de Tratamiento de los mismos, y que serán tratados en observancia de las obligaciones y medidas de seguridad requeridas, con la finalidad de gestionar los envíos en formato papel y/o digital de la revista, de información sobre novedades y productos relacionados con el sector, así como poder trasladarle, a través nuestro o de otras entidades, publicidad y ofertas que pudieran ser de su interés, de conformidad con el consentimiento prestado al solicitar su suscripción expresa y voluntaria a la misma, cuya renovación podrá ser requerida por Ediciones Peldaño en cumplimiento del citado Reglamento. Le informamos que podrá revocar dicho consentimiento, en cualquier momento y en ejercicio legítimo de los derechos de acceso, rectificación, cancelación, oposición, portabilidad y olvido, dirigiéndose a PELDAÑO MEDIA GROUP, S. L., Avda. Manzanares, 196. 28026 Madrid, o al correo electrónico distribucion@peldano.com.

10 STAFF
Red Nacional sobre Implantoplastia implantología monofásica, gacetadental.com SUSCRIPCIÓN 1 AÑO SUSCRIPCIÓN 2 AÑOS 50€ 87€ 124€ España Europa Resto 87€ 152€ 194€ España Europa Resto
OF DESIGN
Foto: Dr. Fernando Rey Duro.
HEAD
Juan Luis Cachadiña
DE PRODUCCIÓN
Miguel Fariñas
Y
MAQUETACIÓN
Verónica
Cristina
DE ADMINISTRACIÓN Anabel Lobato
MEDIA Marina
Gil
Corchuelo Lydia Villalba DIRECTORA
SOCIAL
Hernández mdhernandez@peldano.com
GACETADENTAL.COM ACCEDE A LOS DATOS DE SUSCRIPCIÓN
Arianna González agonzalez@peldano.com
Gaceta Dental · N o 358 | Junio/Julio 2023

IMPORTADOR MAYORISTA PARA LA PENÍNSULA IBÉRICA

19 años al servicio de distribuidores y servicios técnicos dentales

LÁMPARA DE FOTOCURADO

O-Star

ÚLTIMA GENERACIÓN

- Polimeriza TODAS las resinas del mercado. 7 Programas de trabajo.

Turbo, High, Ortho, Normal, Rampa (Soft): Escalonado (Pulse) y Check Lente especial para carillas. Medidor de intensidad de luz en la base.

- Fotocurado en 1 segundo.

- Display OLED.

PVP: 498,00€

GARANTÍA: 2 AÑOS

CAPTADOR / SENSOR RADIOLOGÍA DIGITAL

i-Sensor H1 & H2

- Sensor de alta definición de hasta 2,2 millones de píxeles.

- Grado de protección IP68.

- Compatible con los principales software del mercado. (Ej.: Twain®) H1 38,5 x 25mm (962,5 mm²)

Fácil de instalar. Servicio Postventa GARANTIZADO.

¡Siempre en stock, entrega en 24 horas!

PVP: 1.448,00€

GARANTÍA: 2 AÑOS

ALTA DEFINICIÓN al momento

ULTRAFINO 4,4mm

H2

x 31mm (1.240 mm²)

PVP: 1.698,00€

GARANTÍA: 2 AÑOS

www.rumarcedeira.com | rumarcedeira@rumarcedeira.com Teléfono: 91 849 01 04 | WhatsApp: 683 157 441
Pregúntanos por tu distribuidor o servicio técnico más cercano
+ Info
41

Qué leer

DRA. JENNY ABANTO

«Odontopediatría de la Gestante al Bebé: Enfoque Transdisciplinario en el Arte de Cuidar»

¿Por qué son tan importantes los primeros 1.000 días de vida para nuestra salud bucal y general? ¿Qué puede hacer el dentista para instaurar buenos hábitos desde la vida intrauterina? La Dra. Jenny Abanto, experta en Odontopediatría y profesora de posgrado de esta materia, nos presenta una extensa obra realizada por diversos profesionales sanitarios que permitirá conocer y desarrollar protocolos muy prácticos de atención en el embarazo y en los dos primeros años del bebé.

No es la primera vez que la Dra. Jenny Abanto desarrolla una publicación centrada en Odontopediatría, bebés y preescolares. De hecho, esta es su cuarta obra en cinco años, pero «este es el primer libro que publicamos con un enfoque y abordaje multidisciplinar y transdisciplinario abordando intervenciones educativas, preventivas y curativas. Los colaboradores son expertos en diferentes áreas de salud materno infantil y no solo odontopediatras, sino que también contamos con pediatras, logopedas, psicólogos, ginecólogos, fisioterapeutas... Todos estamos alineados y en sintonía, y basándonos en la

mejor evidencia científica disponible para intentar traer a nuestra área de la Odontología para bebés las bases de promoción de la salud de áreas afines. Este es un libro con una visión mucho más amplia, más allá de la boca, y no solo se enfoca en los bebés y recién nacidos, sino desde la vida uterina. Es decir, abordamos el periodo que llamamos los 1.000 primeros días de vida del bebé, que va desde la concepción hasta los 2 años de edad, extendiéndonos por toda la dentición temporal», explica la Dra. Abanto.

Por qué son tan importantes los primeros 1.000 días de vida «Este periodo ya está aceptado por instituciones de salud pública mundial, como la Organización

Gaceta Dental · N o 358 | Junio/Julio 2023 QUÉ LEER. Dra. Jenny Abanto 12

Mundial de la Salud (OMS), Organización de las Naciones Unidas (ONU) y UNICEF, que reconocen que es el periodo más importante dentro de nuestras vidas. Son estos 1.000 primeros días, desde la concepción hasta los dos años, los que determinan todo nuestro futuro en términos de salud y enfermedad. Es la raíz, es donde se programa todo para el curso de la vida a corto, medio y largo plazo. Y no solo del individuo, sino también de la siguiente generación. Y esto no solo afecta a la salud bucal, sino también a la salud general. Por ejemplo, lo que causa la enfermedad caries son los azúcares libres que también causan el sobrepeso, la obesidad, la diabetes, las enfermedades cardiovasculares, entre otras... Vivimos en una era de enfermedades de riesgo común y en los 1.000 primeros días es la etapa en la que esto se programa. De ahí la importancia de esta primera etapa vital», argumenta la Dra. Abanto. «Hay muchos estudios del área de la Odontología que explican que la programación para problemas bucales, como la caries, maloclusión, defectos del desarrollo del esmalte, entre otros, ocurren en estos 1.000 primeros días porque hay eventos adversos, hábitos y estilos de vida que impactan en este periodo y también se perpetúan en el tiempo –continúa la autora-. Esta etapa es muy importante con respecto a los comportamientos y estilos de vida. Los hábitos y estilo de vida de la madre durante el embarazo se perpetúan en el bebé, hay una correlación, y de ahí la importancia

ODONTOPEDIATRÍA DE LA GESTANTE AL BEBÉ

La Dra. Jenny Abanto y sus colaboradores nos ofrecen todo lo que el dentista y odontopediatra podrían necesitar saber sobre la Odontología para bebés, ya que aborda desde la prevención hasta la rehabilitación; desde medidas preventivas hasta medidas curativas durante todo este periodo. Es, por tanto, un libro muy completo y repleto de especialistas de diferentes áreas sanitarias donde el lector, además de la parte educativa, también encontrará información sobre tratamientos y protocolos para los principales problemas de salud bucodental de la infancia.

Todo un libro de consulta y también de formación muy bien ilustrado con más de 1.250 imágenes en sus más de 800 páginas.

Ficha técnica:

Título: «Odontopediatría de la Gestante al Bebé: Enfoque Transdisciplinario en el Arte de Cuidar».

Autor: Dra. Jenny Abanto.

Páginas: 800.

Tamaño: 21 × 28 × 4 cm.

Gaceta Dental · N o 358 | Junio/Julio 2023
«Este es el primer libro que publicamos con un un enfoque y abordaje multidisciplinar y transdisciplinario planteando intervenciones educativas, preventivas y curativas»
LEER 13
Dra. Jenny Abanto. QUÉ

Organiza:

Impulsa:

Tenemos un libro para cada profesional dental

tienda.gacetadental.com y elige: ¿cuál es el tuyo?

¡Accede a la tienda!

Una obra indispensable para todos los odontopediatras

Si quieres practicar una Odontopediatría actualizada, ¡no dejes de leerlo!

Con 39 capítulos y bajo la coordinación de Jenny Abanto, el libro es una auténtica guía práctica sobre aspectos relevantes de la educación, la prevención y, en especial, la atención de la mujer embarazada y del bebé.

Hazte con él en tienda.gacetadental.com

606 948 236

Impulsa:

¡VISITA LA TIENDA GACETA DENTAL!

Puedes conocer más detalles sobre esta novedosa obra en nuestra Tienda online de Gaceta Dental. También aquí encontrarás otras publicaciones entre los más de 180 títulos sobre Odontología que te ayudarán a seguir actualizando tu formación como profesional.

También puedes suscribirte a nuestra newsletter para estar al día de todas las novedades editoriales del sector dental.

Además, si quieres plasmar tus conocimientos científicos y destreza en Odontología y ponerlos a disposición de tus colegas, ahora puedes publicar tu propio libro. Gaceta Dental pone a tu alcance todos sus recursos y experiencia para ayudarte a editar y publicar tu próxima obra profesional.

Contacta con nosotros y te informaremos de cuáles son las condiciones que te permitirán editar tu propio libro de contenido científico y divulgativo que sea de interés para los diferentes profesionales del sector dental. De forma rápida y sencilla podemos dar vida a tus proyectos.

Manda un email a francisco@ gacetadental.com o jorge@ gacetadental.com y te ayudaremos.

en la educación a las familias desde la etapa prenatal».

«La ciencia también nos demuestra que estos hábitos y preferencias del bebé se proyectan para toda la vida. Nosotros, como adultos, -explica la Dra. Jenny Abanto- somos el resultado de esos 1.000 días de vida en lo que se refiere a las enfermedades. Por eso este es el mejor momento para desarrollar programas educativos y preventivos con el fin de reducir las enfermedades bucales y de riesgo común. Hoy sabemos que la genética solo es responsable del 20% de nuestra salud, pero la epigenética, que es la base biológica de esta etapa, sí que es responsable en el 80% restante. Las mayores influencias epigenéticas suceden precisamente en estos 1.000 primeros días de la vida del ser humano».

¿Los dentistas están concienciados en la importancia de esta etapa para la salud futura?

«La Odontología para bebés ha cambiado mucho, -comenta la Dra. Abanto-. Comenzó en Brasil en los años 80 y desde entonces ha habido muchos cambios. Al principio, la Odontología para bebés estaba solo basada en la visión odontológica desde el nacimiento, después se empezó a contar con la vida intrauterina, y hoy estamos ya hablando de una Odontología para bebés más allá de la boca, con una visión desde otras áreas de la salud. En América del Sur, muchos países

Gaceta Dental · N o 358 | Junio/Julio 2023 QUÉ LEER. Dra.
Abanto 16
«Son los 1.000 primeros días de la vida del bebé, desde la concepción hasta los dos años, los que determinan todo nuestro futuro en términos de salud y enfermedad»
Jenny

ya están llevando a cabo políticas públicas, como el prenatal odontológico, con base en estas evidencias para trabajar con las mamás y sus futuros bebés. Y en Europa esta conciencia también está llegando».

«La finalidad de esta publicación es que el dentista se conciencie y sepa cómo formar e informar a la paciente embarazada y a las familias de los bebés. En algunos países existe la política del prenatal odontológico que pretende dar a conocer a la embarazada y a su entorno familiar los cambios que ocurren durante el embarazo y aumentar los cuidados en salud bucal. Es importante desmitificar muchos asuntos sobre salud bucal y embarazo, pero también darle a conocer a la embarazada que podría estar más vulnerable a desarrollar problemas bucodentales durante esta fase si no son tomadas medidas preventivas. De este modo, toma conciencia de la importancia de cuidar su salud oral explicándole cómo su salud bucodental se relaciona con su salud general y con la de su futuro bebé para que también así se perpetúen hábitos correctos desde la mamá al bebé. Durante la consulta del prenatal odontológico, abordamos no solamente las medidas preventivas para la salud bucodental de la madre y del bebé, sino también medidas curativas, por si hay necesidad de atención y tratamiento odontológico en el embarazo y, al mismo tiempo, se trabaja la consultoría de lactancia materna para así preparar a la embarazada a la etapa de puerperio que quizás sea la fase más difícil y desafiante para la mujer, y no queremos esperar a que ocurran problemas para ponerles solución. Y cuando hablamos de problemas, estamos hablando también de los problemas que surgen con la lactancia materna. Se trata de empoderar a la mujer y ayudarla a enfrentarse a los desafíos y así conseguir una lactancia materna de éxito, así como ayudarla y acompañarla y ofrecer otras alternativas en el caso que sea necesario».

«En países como España, en donde no existe este tipo de políticas públicas sobre el prenatal odontológico, los dentistas sí que pueden generar protocolos y estrategias para que realicen el prenatal odontológico en las

consultas privadas. Este libro ofrece todos los recursos y estrategias para saber cómo organizar todo esto. Y, aunque en muchos países no haya políticas públicas, sí que es cierto que las sociedades científicas, como es el caso de la Sociedad Española de Odontopediatría, ya reconocen su importancia y destacan en sus publicaciones la relevancia de la evaluación del prenatal odontológico».

Colaboraciones interdisciplinares

«Lo más importante es la calidad de cada colaborador. Los colaboradores de este libro tienen mucha experiencia, no solo clínica sino también científica, son formadores de opinión y profesionales que trabajan desde la investigación en cada área sobre la que aquí han escrito en sus capítulos. Esto ya es un gran diferencial, ya que no son solo clínicos, no son solamente investigadores, sino que reúnen esa combinación de ambas visiones. Son profesionales de renombre internacional».

Una obra exclusiva para el dentista

«Básicamente esta publicación está dirigida a odontólogos y odontopediatras. La participación de otros profesionales de la salud está pensada precisamente para expandir esta visión y conocimiento. Y para que por medio de estas otras áreas seamos puente de información para nuestros pacientes a una edad muy temprana. También veo que los profesionales de otras áreas tienen interés y pueden aprovechar estos contenidos, pero la verdad es que hay capítulos que están exclusivamente destinados para el dentista», concluye la Dra. Abanto. ●

Gaceta Dental · N o 358 | Junio/Julio 2023
LEER 17
«Los dentistas sí que pueden generar protocolos y estrategias para que realicen el prenatal odontológico en las consultas privadas»
Dra. Jenny Abanto. QUÉ
Solo los mejores tienen su reconocimiento 14 SEP 23 Madrid ¡Envía tu candidatura y elige el camino de la excelencia! 26 Edición ¡Consulta las bases! gacetadental.com/premios/categorias Impulsa: Organiza: Plazo de presentación: 20 de junio

Especial Implantes

Shutterstock/Talaj
Foto:

DR. JAVIER GIL MUR

Coordinador de la Red Nacional sobre Implantoplastia

El Ministerio de Ciencia e Innovación ha concedido la Red Nacional sobre Implantoplastia para avanzar en la búsqueda de una solución a la periimplantitis. El coordinador del proyecto, el Dr. Javier Gil Mur, nos detalla en esta entrevista los principales objetivos de esta red, así como los principales avances que se están produciendo en la disciplina implantológica.

20
Especial implantes Gaceta Dental · N o 358 | Junio/Julio 2023

Dr. Gil Mur, el Ministerio de Ciencia e Innovación del Gobierno de España ha concedido, por dos años, una Red Nacional sobre Implantoplastia, de la que usted forma parte como coordinador. ¿Qué supone para la Implantología en particular y para la Odontología en general esta red?

—Las redes nacionales que otorga el Ministerio de Ciencia e Innovación del Gobierno de España se conceden a temas estratégicos en los que se necesita un avance investigador en un ámbito concreto y financia a diferentes grupos de investigación. Esta red nacional se compone de grupos de investigación con prestigio nacional e internacional de odontólogos y especialistas en biomateriales para avanzar en la solución para avanzar en la solución de la periimplantitis y en las soluciones contra la infección. Esta concesión significa la sensibilidad por parte de las autoridades sobre las enfermedades periimplantarias y los métodos de desinfección. Como es conocido, la implantoplastia es un proceso muy agresivo que afecta a las propiedades mecánicas del implante, produciendo la liberación de partículas metálicas de diferentes tamaños al medio fisiológico y a los tejidos circundantes, reduciendo la resistencia a la corrosión e incrementando la liberación de iones metálicos, entre los efectos colaterales de este procedimiento.

Esta red que nos acaban de conceder es la continuación de la Red Nacional de Periimplantitis, que también tuve el honor de coordinar. Esta nueva concesión supone un esfuerzo sostenido por parte de las autoridades, concienciadas del gran problema para la salud oral de los pacientes, provocado por la colonización bacteriana.

También supone el reconocimiento que el abordaje de esta problemática es multidisciplinar, en la que hemos de trabajar en colaboración con clínicos, ingenieros, biólogos celulares y moleculares, microbiólogos, químicos... Todavía hay personas en España que, por un falso corporativismo, no son capaces

de entender este trabajo entre las diferentes ramas del saber. Aunque estas personas son una raza a extinguir, todavía ponen dificultades para una franca colaboración.

—¿Cuáles son los objetivos de esta red y quiénes se integran en ella?

—Los objetivos de esta red se pueden resumir en cuatro puntos. Como primer punto, potenciar las sinergias entre los grupos clínicos y los de ciencia y tecnología de materiales. Poner en conocimiento de todos los avances investigadores en estos temas y que los clínicos muestren los aspectos a resolver y las condiciones de contorno de la magnitud de la periimplantitis y la aplicación de la implantoplastia. Este impacto debería dar como resultado la petición de proyectos conjuntos para abordar el problema de manera interdisciplinar.

Como segundo punto, los odontólogos, en colaboración con investigadores de ciencia y tecnología de materiales, microbiología, química, etc.; deberán ser capaces de redactar un protocolo para la buena realización de la implantoplastia. En este documento deberían describirse diferentes aspectos: preparación de los tejidos para la realización de la implantoplastia, secuencia de fresas, fármacos y limpieza de la zona afectada, lubricación, aspiración y otros cuidados para hacer de la implantoplastia una técnica lo menos perjudicial posible. Este documento debería ser reforzado por las autoridades sanitarias españolas para que tuviera más fuerza y se convierta en un manual de buenas prácticas en la implantoplastia. Cabe decir que el prestigio

Gaceta Dental · N o 358 | Junio/Julio 2023
«La concesión de esta red significa la sensibilidad por parte de las autoridades sobre las enfermedades periimplantarias y los métodos de desinfección»
21
Dr. Javier Gil Mur. ESPECIAL IMPLANTES

de los clínicos de la red ya será un impacto para todos los odontólogos, ya que son referentes internacionales y verdaderos lideres de opinión. Como tercer punto, se deben potenciar proyectos entre clínicos y materialistas de nuevos sistemas de prevención, como, por ejemplo, diseños de cuellos de implantes dentales que favorezcan el sellado biológico, nuevas superficies bactericidas y/o bacteriostáticas, sensores o microcircuitos que puedan detectar estados incipientes de periimplantitis, etc. En estos proyectos están muy interesadas las empresas fabricantes de implantes dentales, sistemas de colutorios y también las empresas de prótesis dental. Y, como cuarto punto, la difusión de los resultados. En este tema disponemos de una estrategia muy importante, ya que en el equipo contamos con el presidente de la Sociedad Española de Periodoncia, el presidente de la Sociedad Española de Implantes, el presidente de la Sociedad Española de Cirugía Bucal, el expresidente de la Sociedad Española de Prótesis y Estética Dental y el presidente de la Sociedad Española de Materiales. Estas sociedades nos harán de altavoz de las actividades de la red temática. La difusión cuenta con la inestimable ayuda de Gaceta Dental, que es un arma de difusión masiva para los profesionales de la Odontología. Se trabajará con el objetivo de publicar un protocolo del consenso obtenido en esta red temática para la implantoplastia. Esto nos convertiría en pioneros de la redacción de un protocolo con una comisión de catedráticos de Odontología

(especialidades de Periodoncia, Implantología y Cirugía Bucal) y de ciencia y tecnología de materiales focalizados en biomateriales. El hecho de que muchos miembros de la red sean académicos, responsables de asignaturas de grado y máster de temas de Periodoncia e implantes dentales, ayudará a difundir entre sus estudiantes las conclusiones de la red y favorecerá que participen en reuniones o congresos en los que la red pueda promover la organización sobre este tema.

—¿Qué les diría a los «invitados» a formar parte de esta red para que se sumen a la misma?

—Son todos unos grandes profesionales, excelentes académicos, líderes de grupos de investigación de gran prestigio, grandes personas con una mentalidad abierta y enemigos de la mediocridad. Todos ellos, además, son personas comprometidas con la sociedad y con la transferencia del conocimiento. La red está abierta a nuevos grupos que quieran unirse, no es un coto cerrado, al contrario, con espíritu abierto para los grupos que quieran aportar. Es una red para compartir y con el objetivo de la calidad de vida del paciente y su salud.

—¿Cómo es la operativa de la red?

—La red organiza diferentes reuniones para el conocimiento mutuo entre los grupos y para facilitar la preparación de proyectos de investigación conjuntos entre los diferentes grupos y disciplinas. Se organizan congresos y simposios para difundir los resultados y fomentar la colaboración. También están previstas reuniones para confeccionar un documento de consenso que sería publicado en revistas científicas de impacto y difundidas internacionalmente a diferentes organismos. La red financiará gran parte de los gastos.

—La Red Nacional sobre Implantoplastia tiene como precedente la Red Nacional de Periimplantitis (2019-2021). ¿Qué logros e hitos se alcanzaron en esta materia durante este bienio gracias a la red?

Gaceta Dental · N o 358 | Junio/Julio 2023 ESPECIAL IMPLANTES.
22
«Los índices de periimplantitis son muy elevados, ya que las enfermedades periodontales se cifran en valores superiores al 20% de los implantes dentales colocados a lo largo de los años»
Dr. Javier Gil Mur

GRUPOS DE INVESTIGACIÓN INTEGRADOS EN LA RED

1. La coordinación recae en el Bioengineering Institute of Technology de la Universidad Internacional de Cataluña , a la que pertenece el Dr. Gil Mur, y que está dirigida por el Dr. Román Pérez Antoñanzas.

2. Universidad Complutense de Madrid. Periodoncia e Implantología: Dr. Mariano Sanz.

3. Universidad de Barcelona. Cirugía: Dra. María Ángeles Sánchez Garcés, Dr. Eduard Valmaseda. Implantes: Dr. José López.

4. Universidad de Granada. Materiales Dentales e implantes: Dr. Manuel Toledano, Dra. Raquel Osorio.

5. Universidad de Santiago de Compostela. Dr. Juan Blanco.

6. Universidad de Valencia. Implantes: Dr. David Peñarrocha.

7. Universidad de Sevilla. Cirugía: Dr. Daniel Torres-Lagares, Dr. José Luis Gutiérrez. Periodoncia: Dr. Pedro Bullón, Dr. José Vicente Ríos. Implantología: Dr. Eugenio VelascoOrtega. Ingeniería de materiales: Dr. Yadir Torres. Microbiología-Bioquímica: Dra. Ana Alcudia.

8. Universidad Alfonso X el Sabio. Periodoncia e implantes: Dr. Juan Manuel Aragoneses.

9. Universidad Internacional de Cataluña. Cirugía e implantes: Dr. Federico Hernández. Alfaro. Periodoncia: Dr. José Nart, Dr. Alberto Monje. Prótesis: Dr. Miguel Roig. Materiales Dentales: Dr. Conrado Aparicio.

10. Universidad de Zaragoza. Periodoncia: Dra. Francesca Monticelli.

11. Universidad Europea Miguel de Cervantes. Dr. Aritza Brizuela.

12. Universitat Politècnica de Catalunya. Biomateriales, Biomecánica e Ingeniería de Tejidos. Materiales de Regeneración ósea: Dra. María Pau Ginebra. Biomateriales metálicos y biofuncionalización: Dr. José María Manero.

13. Universidad de Vigo. Biomateriales: Dr. Juan Pou.

14. Consejo Superior de Investigaciones Científicas. CENIM. Caracterización de Biomateriales: Juan José Damborenea.

15. Universidad Jaume I. Implantes dentales funcionalizados: Dr. Julio Suay.

16. Universidad del País Vasco. Biomateriales: Dra. Mariló Gurruchaga, Dra. Isabel Goñi.

17. Universidad Politécnica de Valencia. Biomateriales metálicos. Aleaciones de titanio: Dr. Vicente Amigó.

Gaceta Dental · N o 358 | Junio/Julio 2023
Equipo de investigación del Bioengineering Institute of Technology de la Universidad Internacional de Cataluña.
ESPECIAL IMPLANTES 23
Dr. Javier Gil Mur.

—La Red Nacional contra la Periimplantitis fue el instrumento que permitió identificar a los grupos que trabajan en materiales y/o técnicas para la lucha contra la infección. Surgieron nuevos materiales, tratamientos de pasivado y líneas de investigación muy prometedoras. También se pudieron confirmar tratamientos de desinfección contraproducentes para la lucha a largo plazo de la desinfección.

A pesar de la pandemia, la Red Nacional confeccionó una web en la que los diferentes grupos pudieron exponer en público sus publicaciones.

La Red Nacional tuvo una sesión en el congreso de la SEPA, a la que asistieron más de 1.500 personas, y en la que se expusieron las más recientes investigaciones en este ámbito. De esta red surgieron proyectos nacionales y europeos entre los grupos activos en la red e incluso empresas del sector de los implantes dentales y productos de desinfección como un claro ejemplo de fomentar la investigación entre todos los sectores. También hemos podido comprobar los frutos con las numerosas publicaciones con autores de la red en la mayoría de casos interdisciplinares e interuniversitarios. La red fue valorada por la Administración con la máxima calificación y recibimos una notificación felicitando a los

miembros de la red y animando a proseguir con otra nueva red en esta línea.

—¿Son preocupantes los índices de periimplantitis actualmente? ¿Y las intervenciones de implantoplastia? —Los índices de periimplantitis son muy elevados, ya que las enfermedades periodontales se cifran en valores superiores al 20% de los implantes dentales colocados a lo largo de los años. Estas son cifras muy elevadas y hemos de poner solución. El problema es muy serio, ya que es evidente que una falta de higiene favorece estas enfermedades, pero también es responsable la genética, el diseño de los implantes dentales, las cargas mecánicas… El problema tiene muchas caras y no es fácil de abordar. La implantoplastia evita la extracción del implante dental, pero se mecaniza en boca y eso causa graves problemas; uno de los más peligrosos son las partículas de metal que se desprenden en los tejidos. Hemos podido comprobar la citotoxicidad de estas partículas, provocando procesos inflamatorios. Asimismo, hay partículas de tamaño tan pequeño que no son reconocidas por los macrófagos y las consecuencias son todavía desconocidas. Hemos de conocer que estas partículas se desprenden por fractura de la superficie y son tan energéticas que se oxidan con gran rapidez, pudiendo causar procesos de metalosis. Aparte de los efectos de reacción a cuerpo extraño de las partículas, hay una pérdida de propiedades mecánicas del implante dental y las tensiones internas causadas por la mecanización facilitan la corrosión y liberación de iones. Estos resultados han comenzado a ser publicados por investigadores de la red nacional en diferentes publicaciones de revistas de alto impacto. Los investigadores españoles son reconocidos por los trabajos en la caracterización y consecuencias de la implantoplastia y estamos siendo punteros en esta investigación, así como en sistemas bactericidas y bacteriostáticos muy prometedores.

—¿Qué líneas de investigación actuales están resultando más interesantes en el campo de la Implantología?

C M Y CM MY CY CMY K Gaceta Dental · N o 358 | Junio/Julio 2023 ESPECIAL IMPLANTES.
24
Equipo de investigación XPS de alta resolución para la determinación de composiciones químicas elementales en las superficies de los implantes dentales.
Dr. Javier Gil Mur

—La investigación en Implantología se ha trasladado de la mejora de la osteointegración a la lucha contra la periimplantitis. La mayoría de los artículos científicos van en esta dirección. Se debe trabajar en implantes y pilares que prevengan la periimplantitis, evitar la formación de biofilm, obtener superficies bacteriostáticas y/o bactericidas. Igualmente, estudiar diseños, recubrimientos y los factores que favorecen la adhesión de bacterias. Asimismo, están adquiriendo importancia los nuevos materiales para fabricación de implantes dentales que sean biomiméticos mecánicamente, es decir, que se parezcan al comportamiento del hueso y así haya una mejor transferencia de cargas mecánicas. Otra línea de futuro es la incorporación de sensores a los implantes dentales para prevenir enfermedades e, incluso, poder liberar in situ fármacos.

—Dentro del campo de los materiales, ¿cuáles están arrojando mejores resultados?

—El titanio comercialmente puro es el metal con mejores resultados dadas sus propiedades de capacidad de osteointegración, mecánicas, resistencia a la corrosión… La aleación Ti6Al4V, o también denominada de grado 5, ofrece buena respuesta, aunque se ha podido determinar que las partículas que se desprenden por implantoplastia tienen mayor citotoxicidad ante los fibroblastos y osteoblastos que las partículas de titanio. El circonio es un material

con una estética extraordinaria, pero, como todos los materiales cerámicos, tiene el problema de la fragilidad, aunque se aumente ligeramente la tenacidad con ytria. Son de destacar los materiales de Ti13Zr Roxolid de Straumann y el titanio trabajado en frío denominado Optimum de la empresa Klockner, que ofrecen resistencia mecánica muy elevada para los implantes estrechos y que aseguran el comportamiento de estos implantes dentales a largo plazo. Los implantes de PEEK y otros polímeros termoestables son marginales y no han conseguido introducirse en la Implantología convencional. En la actualidad, se están investigando nuevas aleaciones de titanio para obtener mejores propiedades con mayor capacidad osteointegradora y bactericida. Los elementos de aleación en el titanio puede ser el Hf, Ta, y otros metales de transición que hacen disminuir la rigidez, manteniendo la biocompatibilidad, propiedades mecánicas y resistencia a la degradación química.

—La red ha sido la mejor valorada con una puntuación de 98,5 sobre 100 puntos, lo que muestra el interés por parte de la Administración en este aspecto de la salud oral. ¿Cree que cada vez hay una mayor conciencia a nivel político sobre la importancia de la salud oral? ¿Y a nivel social? —Sí, podemos estar muy orgullosos de ser la mejor valorada de todas, ya que había redes

Feel the difference www.emexact.com +34 936 925 548 - info@emexact.com
Dental prosthetic abutments
Nuestro perfil de emergencia proporciona un óptimo conformado del tejido blando
ESPECIAL IMPLANTES 25
Dr. Javier Gil Mur.

de ámbitos muy importantes como energía, inteligencia artificial, agua, supercomputación…. Sin duda, hay una conciencia en el tema de salud y de los gastos que supone este tipo de enfermedad, así como su posible traslación a biomateriales para ortopedia y traumatología, cardiovascular, etc. En mi opinión, la investigación en Implantología está muy avanzada respecto a otras ramas de la Medicina y la cirugía. También, la buena calificación se debe al excelente equipo de clínicos de la red. Su excelente trabajo durante tantos años es un aval de éxito para el Ministerio.

—¿Es suficiente el apoyo e inversión a nivel de investigación en el campo concreto de la implantología?

—No es suficiente todavía. La inversión de la Administración en proyectos de investigación es insuficiente y, especialmente, en la clínica. La regulación para obtener fondos del Ministerio es muy estricta y complicada de obtener. Creo que debería haber más facilidad y más ayudas, así como debe haber para cada proyecto una rendición de cuentas. Las empresas han hecho un esfuerzo, especialmente algunas de ellas, que han creído en la universidad y sus grupos de investigación como auténticas fábricas de conocimiento. Sin embargo, todavía debe extenderse más esta mentalidad.

Por justicia, hemos de reconocer que las empresas están sometidas a un nivel de exigencia de control de calidad tan elevado que muchas de ellas no pueden responder a este nivel de exigencia. Esta acreditación de calidad

exige muchos controles, ensayos, documentos, acreditaciones…; que las empresas necesitan la contratación de departamentos de personas para conseguir las licencias. Este nivel de calidad para obtener la norma CE repercute en las inversiones para investigación de las empresas, especialmente para las pequeñas que tienen verdaderas dificultades.

—En 2017 en una entrevista nos aseguraba:

«La investigación en España es buena y tenemos unos índices de producción científica entre los 15 primeros países, pero tenemos un ranking muy bajo en la transferencia de esta investigación». ¿Ha variado su visión en estos últimos años?

—Para mí, la transferencia de conocimiento va incrementándose en España poco a poco. Las empresas están apostando por la investigación; ya son muchas universidades las que cuentan con cátedras de empresas. He de destacar el esfuerzo de las empresas españolas, ya que las extranjeras multinacionales tienen sus sedes investigadoras en países fuera del nuestro y son allí donde hacen la investigación. Sin embargo, puedo afirmar con conocimiento que los implantes dentales de las mejores empresas españolas no tienen nada que envidiar desde el punto de vista técnico a las mejores empresas extranjeras. También aprecio con esperanza que los clínicos han dejado de ver a nuestros productos como de segunda división. Antes el pensamiento de despreciar los productos fabricados en España era mucho más habitual y ahora se ha superado por la formación que se ofrece a los clínicos.

—¿Cree que redes como esta recientemente creadas ayudarán a mejorar el grado de transferencia de la investigación española?

¿Qué necesitamos para mejorar este grado de transferencia?

—Las redes son un instrumento para acercamiento entre grupos de investigación, difundir el conocimiento, colaborar entre grupos y establecer consensos y puntos de acuerdo que puedan ayudar a los profesionales. Este conocimiento que se genera en la red

Gaceta Dental · N o 358 | Junio/Julio 2023 ESPECIAL IMPLANTES.
26
«No hay que poner límites a la investigación, solamente los límites de la dignidad humana y los valores que custodian las comisiones de ética para hacer investigación»
Dr. Javier Gil Mur

es transferido a las empresas que también son invitadas a los congresos y seminarios y siempre tenemos las puertas abiertas de la red para cooperar. Un aspecto importante que todavía hemos de seguir trabajando es evitar la fuga de conocimiento de nuestros mejores investigadores, ya que falta el diseño de una carrera investigadora y académica que aporte estabilidad y esté bien remunerada.

—Hablamos en este caso de una red nacional para una materia muy concreta, pero ¿tiene sentido poner fronteras a la investigación (y más cuando hablamos de salud)?

¿Qué aportan la internacionalización o los grupos de trabajo multinacionales en el campo de la investigación odontológica?

—No hay que poner límites a la investigación, solamente los límites de la dignidad humana

PERSPECTIVAS DE FUTURO

y los valores que custodian las comisiones de ética para hacer investigación. La internacionalización es importante para el avance. En este campo, los grupos de investigación en España hemos de aumentar el grado de la internacionalización. Es poco frecuente encontrar a grupos españoles en congresos internacionales. Puedo asegurar que el nivel de las investigaciones que se presentan en los congresos nacionales tiene igual o mayor calidad que en los congresos internacionales de más prestigio. En mi opinión, en España disfrutamos de muchas sociedades científicas y cada una de ellas organiza su congreso, lo que hace disminuir la participación española en congresos internacionales. Se debe hacer un esfuerzo para aumentar la presencia en congresos, así como en proyectos europeos de investigación. ●

Para el Dr. Gil Mur, el futuro de la Implantología «es muy bueno. Creo que se unen tres factores importantes que, combinados, son garantía de éxito». Por un lado, explica, «la formación odontológica de grado y máster es muy buena en nuestro país. Los estudiantes salen de la universidad con muchos conocimientos gracias a la buena calidad de sus profesores».

Por otro lado, añade, «la investigación sobre implantes es de muy buena calidad. Son muchos los grupos que desarrollan proyectos de investigación y hay una inquietud en que todos los profesores se acrediten y consigan publicar en revistas de impacto. Hay una gran revolución investigadora en muchas facultades que desborda al concepto arcaico de impartición exclusiva de docencia. Ahora son centros de formación, investigación y transferencia de conocimiento. Sin investigación no puede haber una buena docencia. A su vez, los ingenieros, químicos y biólogos, han sabido ponerse a servicio del clínico, como verdadero protagonista de los avances científicos que repercutirán finalmente en el paciente».

Y, por último, «la gran mayoría de empresas entienden la investigación como inversión y no como gasto. Yo he tenido la suerte de contar con apoyo de la empresa para poder avanzar y estoy muy agradecido por ello. Si no hubiera tenido este apoyo, seguramente la investigación de mi grupo sería ciencia ficción, ya que no se podría aplicar. Los científicos hemos de ser servidores de los clínicos, escuchar sus problemas y avanzar con ellos. A la fuerza empresarial se debe unir también contar con órganos de difusión como Gaceta

Dental, que va informando de los trabajos, iniciativas y que fomenta el avance del conocimiento en el sector dental».

Gaceta Dental · N o 358 | Junio/Julio 2023 Dr. Javier Gil Mur. ESPECIAL IMPLANTES 27

Gaceta Dental consolida su liderazgo digital

Comparativa Gaceta Dental vs Principal competidor

La siguiente infografía muestra la diferencia entre los resultados de Gaceta Dental y nuestro principal medio competidor. Todos los datos han sido extraídos usando Google Analytics, SEMRush, Similarweb y MOZ y son accesibles de manera transparente por cualquier empresa o persona que use estas reputadas herramientas de medición e investigación.

29.987

Posicionamiento web

3.279.000 Sesiones web

keywords sectoriales posicionadas por Gaceta Dental en Google

Clasificación

*Datos extraídos a 31 de diciembre 2022.

keywords de Gaceta Dental en el top 20 de Google

6.851

Competidor

Prestigio SEO Mejor Domain Authority del sector 51 Competidor
¡Récord histórico! Ranking de web en categoría salud
33
6192
Competidor 6.851
del
en
en España. Gaceta Dental 25 Competidor 109 Ranking Similar Web global Gaceta Dental 296.803 Competidor 2.282.765 Clasificación de tráfico del sitio web, en comparación con todos los demás sitios del mundo. El 1 es el mejor. Social media 14K Gaceta Dental 12K Competidor 4309 Gaceta Dental 2514 Competidor 8637 Gaceta Dental 0 Competidor 1 Edita: gacetadental.com
tráfico del sitio
comparación con todos los demás sitios en su categoría (salud) principal

Qué datos medimos y cómo los medimos en Gaceta Dental

Cuando en el año 2020 iniciamos un rumbo de potenciamiento de toda nuestra estrategia digital, teníamos claro que la medición de los datos de audiencia era una prioridad estratégica para Gaceta Dental.

Los medios de información veníamos de décadas donde OJD o Comscore se habían erigido como únicos actores validadores de audiencias y estrategias. Eran tiempos donde los datos de tirada o llegada eran suficientes y donde no existía la enorme diversidad de canales de consumo de información que tenemos hoy en día.

Ante el nuevo contexto, 2020 adquirimos SEMRush, una herramienta fantástica que, junto a otras como SimilarWeb o AHRefs nos permiten extraer los datos que veis en la infografía que acompaña este texto.

SEMRush no solo nos ofrece datos sobre el tamaño de la audiencia, sino también sobre su comportamiento. Nos permite identificar cualitativamente qué palabras clave utilizan los odontólogos, estudiantes… para encontrar contenido, qué canales de tráfico son los más efectivos, o qué palabras clave interesan a un cliente que busca ayuda en posicionamiento. Y sobre todo, permite que extraigamos y analicemos esos datos a tiempo real, no en un punto único temporal donde auditemos nuestro tráfico.

De media, Google cambia 3 o 4 veces su algoritmo de posicionamiento al año, cambios que causan pequeñas o grandes fluctuaciones en el tráfico de nuestras webs, y también en las de nuestros clientes. En los meses venideros, se viene otra revolución causada por la posible irrupción de un buscador potenciado con Inteligencia Artificial que Google ya está probando en Estados Unidos. ¿Qué pasará con nuestros contenidos cuando eso ocurra?

Me encantaría saberlo, pero no tengo ni idea. Lo que sé es que, también entonces, medir, probar y corregir será el único camino posible.

Los datos de la infografía nos hacen sentirnos orgullosos. No solo por ti, fiel lector/a de la revista, sino por los que comparten un vídeo en LinkedIn (crecemos como cohetes en esta importantísima red), acuden a un evento nuestro o conocen Gaceta por primera vez por haber buscado “posturas en la clínica dental” en Google.

Ahí, en la primera respuesta a esa búsqueda, gacetadental.com espera con los brazos abiertos.

En la era digital, los medios de comunicación nos enfrentamos a un panorama cada vez más competitivo. Para mantenernos relevantes y poder tomar decisiones estratégicas informadas, es esencial contar con datos precisos y actualizados sobre la audiencia.
Adrián Beloki, director de estrategia de contenidos en Peldaño

Una puesta al día en implantes cigomáticos

Es evidente que los implantes cigomáticos se han convertido en la opción más eficaz en el tratamiento de los pacientes con atrofia severa del maxilar superior. Puesto que esta técnica evita la necesidad de realizar injertos óseos, el tiempo de tratamiento se reduce de forma drástica, al igual que las molestias para el paciente. La depuración de la técnica quirúrgica, la incorporación de nuevas tecnologías, sobre todo la cirugía por navegación, así como el diseño de prometedores nuevos sistemas de implantes cigomáticos, nos ofrecen unos resultados excelentes, predecibles y sin apenas complicaciones. Por el contrario, su mayor hándicap es la curva de aprendizaje de esta técnica, la cual se restringe, hoy por hoy, a profesionales que cuentan previamente con destreza y experiencia quirúrgica notables.

El campo de los implantes cigomáticos ha evolucionado mucho desde la técnica quirúrgica original descrita por el Prof. Brånemark en la década de los ochenta. Aquella técnica supuso un gran paso en la rehabilitación del maxilar atrófico, pero era controvertida porque el recorrido intrasinusal del implante podía originar complicaciones sinusales y, en algunas ocasiones, emergencias demasiado palatinizadas. Sin embargo, ya los

primeros resultados de estudios clínicos mostraron tasas de supervivencia cercanas al 100%. Con el tiempo y la investigación clínica, estos problemas iniciales se han ido superando gracias a las innovaciones constantes, a las técnicas extrasinusales, a las técnicas «Guiadas por la Anatomía» y al diseño de nuevos sistemas de implantes cigomáticos. Las mejoras en los softwares de planificación quirúrgica también han contribuido a la depuración de la técnica. Todo ello ha hecho que los implantes

30
Especial implantes Gaceta Dental · N o 358 | Junio/Julio 2023
Sonsoles García Garrido
ESPECIAL
IMPLANTES. Una puesta al día en implantes cigomáticos
31
Ilustración
Gaceta Dental · N o 358 | Junio/Julio 2023
«Los implantes cigomáticos son la opción más eficaz en la atrofia severa del maxilar superior»
3D de Shutterstock/Alex Mit.
Una puesta al día en implantes cigomáticos. ESPECIAL IMPLANTES

cigomáticos sean un tratamiento cada vez más maduro, seguro y predecible para los pacientes.

¿CÓMO HA EVOLUCIONADO

EL CAMPO DE LOS IMPLANTES CIGOMÁTICOS EN LOS ÚLTIMOS AÑOS?

«Las innovaciones son positivas, e incluso necesarias para responder a las necesidades clínicas actuales –explica el Dr. Carlos Aparicio, presidente y fundador de los Centros ZAGA-. Podemos hablar de inmediatez, de cirugía guiada o de navegación, que son niveles de disrupción diferentes. El auge del tratamiento inmediato en la rehabilitación del maxilar superior atrófico es una de las causas del aumento del uso de esta técnica, especialmente si lo comparamos al patrón referencia anterior: el

injerto de hueso. El tiempo para conseguir dientes fijos se redujo de 6-14 meses a solo unas pocas horas, y la incidencia de complicaciones disminuyó sustancialmente. En una de las últimas publicaciones de la red de centros ZAGA (zagacenters. com), reportamos en una búsqueda bibliográfica sistemática un porcentaje de éxito en función del tiempo postcirugía de más de 96% a 5 años».

Para el Dr. Rubén Davó, director Médico de Vithas Davó Instituto Dental del Hospital Internacional Medimar de Alicante, «lo más importante es el nivel de madurez que ha alcanzado esta técnica. Ya contamos con muchos datos y mucha evidencia científica que indican que los implantes cigomáticos funcionan a corto, medio y largo plazo y eso ha provocado que su uso y extensión por el mundo sea cada vez mayor. Ya casi nadie que esté al día en publicaciones científicas discute que el Cigoma Quad, por ejemplo, es mejor para la rehabilitación de los maxilares extremadamente atróficos que los injertos de hueso».

El Dr. Juan López-Quiles, profesor de la Facultad de Odontología de la Universidad Complutense de Madrid (UCM), destaca en esta evolución «sin duda, el diseño de los implantes. Durante mucho tiempo todos los implantes han sido muy parecidos a los originales de Brånemark en cuanto a tamaño, anchura, diseño de las roscas y de la cabeza que tenía una angulación estándar de 45 grados. De un tiempo a esta parte, se han desarrollado nuevas conexiones, nuevas angulaciones, cabeza y partes del cuerpo lisas y en algunos casos planas, menor diámetro... Todo ello está consiguiendo una mayor versatilidad y menor morbilidad

32
Gaceta Dental · N o 358 | Junio/Julio 2023
El Dr. Carlos Aparicio, presidente y fundador de los Centros ZAGA. ESPECIAL IMPLANTES. Una puesta al día en implantes cigomáticos

¿QUIERES FORMARTE COMO PERIODONCISTA Y CIRUJANO DE IMPLANTES?

Convocamos 2 plazas para el Máster de Periodoncia e Implantes de la Universidad de Oviedo, que incluye Residencia Clínica en la Clínica Sicilia.

Si quieres conocer nuestro nivel de formación te invitamos a realizar una ESTANCIA DE UN DÍA EN LA CLINICA SICILIA en el mes de Julio.

[Duración]

[Contenidos]

• 3 años, 180 créditos ECTS, full-time (programa formativo que incluye 2 titulaciones)

Se cursarán consecutivamente 2 programas:

• Máster en Periodoncia (Periodoncia e Implantes, 120 ECTS, años 1 y 2).

• Máster en Microcirugía Periodontal e Implantológica avanzada (60 ECTS, año 3).

[Instalaciones]

• Sección de Periodoncia Odontología, Universidad de Oviedo) Clínica Sicilia

Contacto: Dr. Alberto Sicilia (Director) asicilia@clinicasicilia.es

Dª María Pilar Pérez Alonso (Coordinadora Universidad de Oviedo) mppereza@uniovi.es

*fechas pendientes de confirmación oficial

a largo plazo. Aunque el proceso ya lleva muchos años, el factor fundamental fue ir desarrollando la técnica original intrasinusal hacia la extrasinusal. Con ello prácticamente han desaparecido las sinusitis como complicación principal y la rehabilitación protésica ha mejorado en cuanto a biomecánica y comodidad para el paciente. Por otro lado, la técnica se ha ido simplificando, disminuyendo su agresividad, y su uso se ha extendido desde rehabilitaciones completas a su utilización también en sectores parciales».

«En un reciente consenso sobre implantes cigomáticos de ITI se reconoció y documentó la existencia de técnicas intrasinusales, extrasinusales y las llamadas Guiadas por la Anatomía, -señala el Dr. Rubén Davó-, en las que el implante cigomático se instalaba intrasinusal, en la pared del maxilar, o extrasinusalmente dependiendo de las diferentes anatomías de los maxilares que podemos encontrar (AGA). Todos mis estudios desde 2006, que incluyen todo lo que he publicado sobre cigoma Quad, siguen esta forma de planificación quirúrgica».

Precisamente, la colocación de implantes de forma extrasinusal fue la base de la filosofía ZAGA, de la que es fundador el Dr. Carlos Aparicio.

«Con el tiempo entendimos algo muy básico: la anatomía de los pacientes es diferente entre ellos e incluso en una misma persona podemos encontrar diferencias entre el lado derecho y el izquierdo. Poco a poco fuimos evolucionando la técnica hasta construir la filosofía ZAGA.

ZAGA es el acrónimo de Zygoma Anatomy-Guided Approach. Lo componen un conjunto de protocolos

que nos enseñan a entender que la rehabilitación del maxilar mediante prótesis ancladas en implantes cigomáticos es un proceso que debe de ser individualizado para cada paciente. Así, ya no utilizamos una receta de cirugía para todos los pacientes, sino que escogemos la incisión, el camino, la trayectoria, la localización de la osteotomía e, incluso, el diseño del implante de acuerdo a la anatomía en particular del paciente. Este es el concepto ZAGA», explica el Dr. Aparicio.

LA INCORPORACIÓN DE NUEVAS TECNOLOGÍAS EN EL AVANCE DE LOS IMPLANTES CIGOMÁTICOS

«El uso de guías quirúrgicas y de sistemas de navegación para la colocación de implantes cigomáticos está en sus inicios todavía, -afirma el Dr. Carlos Aparicio-. Es muy atractivo poder colocar implantes cigomáticos con guías diseñadas de antemano, en teoría. En práctica, es nuestra responsabilidad como cirujanos tener todo el conocimiento y la experiencia necesarios para poder tratar complicaciones en cualquier etapa del tratamiento. El uso de guías no quita en absoluto la

34
«El uso de guías quirúrgicas y de sistemas de navegación para la colocación de implantes cigomáticos está en sus inicios todavía»
Gaceta Dental · N o 358 | Junio/Julio 2023
Dr. Carlos Aparicio
ESPECIAL IMPLANTES. Una puesta al día en implantes cigomáticos

necesidad de ser experto en este tratamiento sin guías, antes de eventualmente usarlas. Lo mismo aplica para sistemas de navegación. La precisión de estos sistemas todavía no está suficientemente demostrada para poder usarlos sin tener constantemente una mirada crítica en cuanto a la trayectoria del implante».

Por el contrario, el Dr. Rubén Davó opina que los sistemas de navegación sí que han demostrado un alto grado de exactitud. «Con la incorporación de nuevas tecnologías, con el flujo de trabajo digital también para implantes cigomáticos y, sobre todo, con la cirugía por navegación, estamos obteniendo resultados muy buenos, -argumenta el Dr. Davó-. Desde 2014 he colaborado con el 9th People Hospital de Shanghay, centro referente para China y a nivel global, y acaban de publicar los datos de la cirugía por navegación para cigoma cuádruple con unos grados de exactitud del orden de 1-2 mm, impresionantes. Es, por tanto, una cirugía muy predecible. Actualmente estamos elaborando un estudio comparativo acerca de las diferencias que encontramos entre la magnitud de unión al hueso en cirugía a «mano alzada» y los que se obtienen por cirugía navegada (Bone to implant contact). En mi opinión, esta cirugía por navegación podría ayudar especialmente a los profesionales, ya que hay un componente de dificultad técnica que la cirugía por navegación parece conseguir subsanar. Por ello, podría facilitar que muchos profesionales comenzaran a practicar estas cirugías al poder disminuir la curva de aprendizaje. Creo que, en el futuro, conforme los sistemas de navegación se vayan simplificando, esta cirugía

por navegación va a apoyar mucho, sobre todo en la cirugía de cigoma cuádruple. El profesional tendrá que seguir teniendo experiencia en cirugía convencional, pero la navegación puede facilitar las cosas. En definitiva, al igual que la cirugía guiada se demostró que para cigoma cuádruple no es eficaz ni exacta, la cirugía por navegación sí que ha demostrado que lo es».

VENTAJAS DE LOS IMPLANTES CIGOMÁTICOS

«Sin duda, el implante cigomático es una técnica excepcionalmente exitosa en las grandes reabsorciones de maxilar (incluso maxilectomías), con una evidencia científica que pocos aspectos de nuestra profesión consiguen, -afirma el Dr. Juan López-Quiles-. Hay que tener en

35
Gaceta Dental · N o 358 | Junio/Julio 2023
El Dr. Rubén Davó, director Médico de Vithas Davó Instituto Dental del Hospital Internacional Medimar de Alicante. Una puesta al día en implantes cigomáticos. ESPECIAL IMPLANTES

cuenta que lo que hacíamos antes eran injertos de cresta iliaca con osteotomías de Lefort, con lo que suponía de agresividad quirúrgica, ingreso hospitalario, anestesia general, recuperación del paciente, morbilidad, resultados a largo plazo y coste económico. Este último aspecto económico, que lógicamente importa mucho al paciente, es una gran ventaja, incluso con respecto a tratamientos convencionales actuales como elevaciones de seno u otros tipos de regeneración ósea o injertos. El tratamiento se suele realizar con sedación consciente. Incluso en casos de rehabilitación de un solo sector, con anestesia local. Los tratamientos alternativos de regeneración ósea, además, requieren normalmente de amplios tiempos de espera hasta la rehabilitación final. Los cigomáticos permiten la carga inmediata en prácticamente todos los casos, incluso solo con 4 implantes. Por cierto, la rehabilitación protésica es exactamente igual que cualquier otro tratamiento sobre implantes convencionales. La morbilidad postoperatoria es infinitamente menor de lo que pudiera parecer. Inflamación, molestias, posibilidad de hematomas... son perfectamente controlables con medicación estándar. Y el buen resultado a largo plazo tiene una ventaja añadida. En el anclaje en el malar no existe la posibilidad de periimplantitis, ya que está muy lejos y aislada de la flora patógena bucal. Es un detalle muy importante, pues ya estamos viendo cómo la periimplantitis hace estragos en los implantes convencionales. De hecho, y cada vez es más frecuentemente, una de las indicaciones de los cigomáticos son las rehabilitaciones sobre implantes con ciertos años de evolución en los

que las periimplantitis han acabado con los implantes tradicionales y el hueso alveolar en el que estaban integrados. Ahora es cierto que los cigomáticos se han convertido en la cuarta dentición: los dientes de leche, los definitivos, los implantes tradicionales y, por último, los cigomáticos», asegura el Dr. Juan López-Quiles.

También el Dr. Rubén Davó insiste especialmente en la ventaja de la inmediatez que ofrece esta técnica: «Desde principios de este siglo hasta hace muy poco tiempo, la gran controversia en congresos, simposios, etc. era: ¿implantes cigomáticos o injerto? Para responder a esta pregunta de forma científica, hace unos años realizamos un estudio randomizado comparando estas dos técnicas en la misma población de pacientes. Comprobamos, de forma científica que los implantes cigomáticos son mejores para este tipo de pacientes porque tienen menos complicaciones, menos fallos, etc., pero la principal diferencia, que

36
«Se acaban de publicar nuevos datos sobre la cirugía por navegación para cigoma cuádruple con unos grados de exactitud del orden de 1-2 mm. Es, por tanto, una cirugía muy predecible»
Gaceta Dental · N o 358 | Junio/Julio 2023
Dr. Rubén Davó
ESPECIAL IMPLANTES. Una puesta al día en implantes cigomáticos

es lo que médicamente hace que no se puedan ni siquiera comparar, es que con injertos tardas de media 430 días en rehabilitar un paciente y, con implantes cigomáticos solo 1,2 días, siendo la calidad de vida asociada a la salud oral iguales. Los implantes cigomáticos normalizan de forma inmediata la calidad de vida de los pacientes. No la mejoran, sino que la normalizan. Además, estamos viendo con los resultados a largo plazo, en especial con nuestro estudio de seguimiento de 17 años de cigoma cuádruple, que esta calidad de vida se mantiene con el paso del tiempo. La tasa de éxito con una media de seguimiento de 9,5 años es de un 98,5% en implantes. Y esto es una gran novedad porque hace seis o siete años aún no lo podíamos saber por falta de datos. La siguiente controversia emergente posiblemente sea cigoma cuádruple versus implantes subperiósticos. Por ahora no tenemos estudios clínicos suficientes para los implantes subperiósticos, pero intuyo que próximamente, para el escenario de atrofia total, el debate va a ser éste», pronostica el Dr. Rubén Davó.

SIN APENAS LÍMITES NI INCONVENIENTES

«La principal indicación de los implantes cigomáticos es la atrofia total del maxilar superior. En estos casos prácticamente no hay límites, -afirma el Dr. Rubén Davó-. Únicamente hay límites lógicos, como es el hecho de que el paciente esté con una infección activa, con quimioterapia o con radioterapia muy reciente, es decir, circunstancias que desaconsejan cualquier cirugía oral o maxilofacial. Al margen de esto, se trata de una técnica con muy pocos límites. De hecho, durante todos

estos años, prácticamente todos los pacientes que he decidido tratar con implantes cigomáticos, los he podido tratar y no ha habido que rechazar a ninguno. La ausencia total de hueso maxilar no es un problema, y el hueso cigomático permite, en la inmensa mayoría de los casos, colocar 1-2 implantes. Las complicaciones se pueden minimizar con una buena planificación. Desde hace años hacemos cirugías menos invasivas y más guiadas por la anatomía. La complicación más reportada en la literatura es la sinusitis a medio y largo plazo que se puede minimizar poniendo los implantes fuera del seno maxilar. También hemos demostrado que se puede tratar más o menos fácilmente, con tratamiento médico o con cirugía funcional endoscópica. El otro grupo de complicaciones está relacionado con los tejidos blandos: que haya recesiones de la encía en los casos en los que pones el

37
Gaceta Dental · N o 358 | Junio/Julio 2023
El Dr. Juan López-Quiles, profesor de la Facultad de Odontología de la UCM. Una puesta al día en implantes cigomáticos. ESPECIAL IMPLANTES

implante fuera de seno…, pero hoy en día hay técnicas de tejidos blandos suficientes para minimizar este tipo de complicaciones», asegura el Dr. Rubén Davó.

Para el Dr. López-Quiles, «el principal escollo para el que quiera iniciarse en este tipo de cirugía es que es necesaria una formación completa y específica al salir del campo anatómico operatorio habitual para el odontólogo. Hay estructuras cercanas muy importantes como son el nervio infraorbitario, el seno maxilar y la cavidad ocular que deben ser respetadas. Además, todavía no está muy conseguida la cirugía guiada ni la navegación ya que, al ser tan largos los implantes, la posibilidad de error en la colocación del ápice del implante es muy considerable. Por lo tanto, la cirugía sigue teniendo mucho de «arte» y un factor determinante es la experiencia del cirujano y su «buena mano». Obviamente los implantes cigomáticos no están exentos de complicaciones. Por ejemplo, pueden aparecer patologías mucosas como retracciones, mucositis, exposición del implante, etc., que hoy en día se tratan con una buena técnica quirúrgica que mantenga encía adherida por vestibular, implante de superficie plana, uso de bola de Bichat, etc. Por lo demás, con una correcta técnica quirúrgica y protésica, las complicaciones restantes son las propias de una cirugía o de una rehabilitación completa estándar. Y ya hemos comentado que las complicaciones a largo plazo son muy escasas».

¿CÓMO FORMARSE BIEN PARA DOMINAR ESTA TÉCNICA?

Según explica el Dr. López-Quiles, profesor de la UCM, «existen muchos

cursos para entender el concepto y la técnica. Pero yo recomiendo que se inicien en la práctica solo los que tengan ya una sólida formación quirúrgica general previa. La mejor manera es ayudar a algún cirujano experto y, poco a poco, empezar a planificar y colocar los implantes con él hasta que adquiera la destreza necesaria, domine todas las posibles variables y sepa manejar las complicaciones. Mi consejo para los colegas que quieran iniciarse es formación, formación, formación, paciencia y prudencia».

El Dr. Rubén Davó coincide en señalar que «como sucede en todas las técnicas de cirugía oral y maxilofacial, los implantes cigomáticos requieren de una curva de aprendizaje. Hay que seguir una buena formación teórica y práctica inicial y tener muy claro los principios teóricos en los que se sustenta esta técnica y, luego, empezar con casos muy sencillos con un mentor que tenga experiencia. Hay que ir con

38
«El implante cigomático es una técnica excepcionalmente exitosa en las grandes reabsorciones de maxilar, con una evidencia científica que pocos aspectos de nuestra profesión consiguen»
Gaceta Dental · N o 358 | Junio/Julio 2023
Dr. Juan López-Quiles
ESPECIAL IMPLANTES. Una puesta al día en implantes cigomáticos

mucha prudencia diseñando nuestro propio programa de autoformación. Cada uno debe tener en cuenta cuál es su nivel quirúrgico (si es cirujano maxilofacial, cirujano oral, dentista general o periodoncista), empezar con un curso y diseñar su propio camino formativo. Insisto en que hoy en día la técnica está muy madura, pero la curva de aprendizaje lleva su tiempo. Llevamos dando cursos prácticamente por todo el mundo desde el año 2006. En mi experiencia, los profesionales que apuestan seriamente por esta técnica consiguen ir desarrollándola y en poco tiempo suelen dejar de tratar con injertos complejos a sus pacientes extremadamente atróficos», explica el Dr. Davó.

Por su parte, el Dr. Carlos Aparicio recomienda «no saltarse el paso de educación, formación y entrenamiento en esta técnica, leer la literatura disponible, asistir a cursos formativos y conseguir un mentor para así evitar complicaciones y entregar tratamientos de alta calidad. Precisamente, en la red de centros ZAGA organizamos cursos dedicados al concepto ZAGA para la rehabilitación del maxilar superior atrófico cuyo objetivo es entender el «Porqué» de cada paso del tratamiento. De nuevo y queriendo ser muy claro, le aconsejaría al compañero que quiere incluir esta

técnica en su armamentario que no se quede en un solo curso, es mejor que atienda a varios cursos con diferentes mentores. Así podrá entender el proceso desde diferentes perspectivas, comparar y escoger entre las diferentes filosofías de trabajo. Pero, en todo caso, recuerda que para este tratamiento hay un solo disparo. Es la última oportunidad para ese paciente de recuperar una dentición fija. Tiene que ir bien al primer intento, si aparece una complicación será muy difícil o a veces imposible de ser tratada», advierte el Dr. Aparicio.

En este último aspecto el Dr. Rubén Davó coincide en la dificultad de la técnica y aconseja a los profesionales que no la dominen que lo más adecuado es «habituarnos a derivar a estos pacientes a profesionales experimentados porque es una técnica muy predecible, muy rápida y resolutiva y con buenos resultados a largo plazo que benefician al paciente. Hay que tener en cuenta que el impacto en la calidad de vida de una atrofia maxilar es enorme, en especial si el paciente es joven o de mediana edad, por eso debemos darles una solución lo más adecuada posible».

Finalmente, el Dr. Juan LópezQuiles insiste en que «la cirugía debe estar perfectamente planificada y realizarse con protocolo. Es verdad que en ocasiones aparecen circunstancias imprevistas que hay que resolver y habrá que «tirar» de experiencia. En cualquier caso, para los que empiezan, sí que recomiendo que se dejen ayudar, que no escatimen en la planificación del caso (CBCT completo hasta cigoma, modelo estereolitográfico, simulación protésica, etc.) y que realicen disecciones quirúrgicas amplias, controladas y limpias». ●

39
Gaceta Dental · N o 358 | Junio/Julio 2023
«Los implantes cigomáticos son un tratamiento cada vez más maduro, seguro y predecible para los pacientes»
Una puesta al día en implantes cigomáticos. ESPECIAL IMPLANTES

PRÓTESIS FIJA SOBRE PILARES EMX, CON OPCIÓN DE RETENCIÓN DUAL

Una solución para conseguir flexibilidad y sencillez en las demandas restauradoras

Dedicación exclusiva en implantes y prótesis (Alicante).

La morfología anatómica de los pilares permite la colocación subcrestal de los implantes en casos de mayor compromiso estético.

40 Gaceta Dental · N o 358 | Junio/Julio 2023 ECKER MULTI FIX (EMX)
Pilares Ecker Multi Fix en fase post cicatrización. De morfología anatómica contribuyen a la salud de los tejidos blandos. Caso clínico de seis implantes, con implantes Eckermann ANKOR de conexión cono morse y pilares Ecker Multi Fix inmediatos. DRA. MARÍA TOBOSO

La implantología actual no solo requiere implantes modernos que ayuden al clínico a solventar todo tipo de casos con éxito a largo plazo.

Hoy en día, gran parte del éxito clínico del caso está en la solución protésica. Ésta debe reunir características que aporten ventajas a las soluciones clásicamente utilizadas y mejore los resultados a largo plazo. Pero eso no debería ser todo; también ayudar al clínico y al técnico de laboratorio a poder diseñar y fabricar prótesis que aporten mejoras a los desafíos protésicos derivados de diferentes factores

que actualmente existen como la colocación de los implantes, evitar chimeneas en lugares indeseables, necesidades estéticas y tener en cuenta, incluso, los tiempos de trabajo para el montaje y desmontaje de las restauraciones durante su proceso de comprobación y fijación definitiva. Por ello, Eckermann ha desarrollado una gama de pilares sobre implantes llamados Ecker Multi Fix (EMX) que incluyen la opción de retención fija DUAL. Una opción restauradora moderna e intuitiva que aporta mayor flexibilidad y sencillez a las demandas restauradoras de hoy en día.

Prueba de estucturas de fabricación CAD-CAM (Sckel) sobre los pilares Ecker Multi Fix (EMX). Estructuras con gran ajuste pasivo. Eliminación de una salida de tornillo por necesidad del caso.

Restauración definitiva del caso. Nótese cómo en uno de los implantes no hay tornillo y, en su lugar, se va colocar una retención PEEK para fijar esa corona de manera fiable al pilar.

41 Gaceta Dental · N o 358 | Junio/Julio 2023 ECKER MULTI FIX (EMX)

Soluciones Implantológicas

Para todo tipo de casos

ESCANÉAME

Y DESCUBRE TODO LO QUE PODEMOS OFRECERTE

info@eckermann.es
eckermann.es
ECKERMANN.ES SCAN IN HEX CONICAL

®

La solución moderna para prótesis sobre implante DUAL

Cirugía asistida por ordenador. Sistemas de navegación en Implantología

Con la colaboración de:

Hoy en día, el uso de implantes dentales en la práctica clínica es un procedimiento rutinario para tratar tanto el edentulismo parcial como total. Su tasa de supervivencia es muy elevada (1), no obstante, en la Odontología actual no solo se busca la osteointegración o la supervivencia de los implantes, sino el éxito del tratamiento. Con las superficies de implantes actuales, la osteointegración ha dejado de ser el objetivo para centrarse en otros parámetros (2, 3), como la estética, la función o minimizar las complicaciones mecánicas (fractura de componentes protésicos) o las biológicas (enfermedades periimplantarias) (4, 5).

Existen diversos criterios para evaluar el éxito de los implantes, probablemente los más conocidos son los propuestos por Albrektsson y cols. en 1986 (6), aunque diferentes autores, incluyen también criterios

respecto a la restauración protética, el resultado estético, las características de los tejidos duros y blandos periimplantarios o la presencia de enfermedades periimplantarias, incrementando así el nivel de exigencia del resultado final. Es indudable que, una vez establecidas las indicaciones de tratamiento, deben colocarse los implantes dentales de manera protésicamente guiada, es decir, planificar y colocar el implante en función de la prótesis que soportarán (7, 8). El uso de la tecnología 3D, como la introducción de la tomografía computarizada de haz cónico (o CBCT de sus siglas en inglés) y los escáneres intraorales, permiten una planificación preoperatoria virtual más precisa, tanto protésica como quirúrgica (9-11). Los programas de planificación actuales también permiten colocar una prótesis virtual o mock up sobre las imágenes obtenidas en 3D de la arcada del paciente y posicionar los implantes,

Especial implantes
DR. ADRIÀ JORBA GARCÍA DDS, MS. Máster de Cirugía Oral e Implantología, Profesor asociado. Facultad de Medicina y Cièncias de la Salut. Universitat de Barcelona (España). Dra. M. Àngels Sánchez Garcés MD, DDS, MS, PhD, EBOS. Profesor agregado. Facultad de Medicina y Cièncias de la Salut. Universitat de Barcelona. Investigador de IDIBELL (Institut de Investigació Biomédica de Bellvitge), Barcelona (España).
Gaceta Dental · N o 358 | Junio/Julio 2023 ESPECIAL IMPLANTES. Ciencia 44

de forma virtual en la posición deseada, sobre los cortes del CBCT y en el nivel de emergencia deseado. Esta planificación preoperatoria virtual también permite evaluar la necesidad de técnicas de reconstrucción ósea, o seleccionar el modelo y altura de los pilares transepiteliales, aumentando, de esta manera, los resultados estéticos de la futura rehabilitación y disminuyendo las complicaciones a nivel mecánico y biológico (Figura 1). (8, 11-17).

Con la introducción de los conceptos de cirugía protésicamente guiada, por un lado, y de la cirugía mínimamente invasiva, por otro, surgió la necesidad de realizar cirugías más precisas mediante técnicas quirúrgicas más atraumáticas, mejorando la calidad de vida del paciente durante el postoperatorio y la percepción del paciente durante la cirugía (PROMs -Patient reported outcome measurements) (18-20).

Para conseguir estos objetivos surgió el concepto de «cirugía asistida por ordenador» (21). La cirugía asistida por ordenador (CAO) se podría definir, tal y como la describe Nikos Mattheos, como el uso de ayudas o productos digitales durante la colocación quirúrgica del implante. Dentro de la CAO pueden diferenciarse dos grandes tipos de tecnología: la cirugía asistida por ordenador «estática» y la «dinámica» (21-24).

Cirugía asistida por ordenador estática

La CAO estática, también llamada «cirugía guiada con férulas quirúrgicas», consiste en el diseño de unas férulas quirúrgicas acrílicas, ya sean impresas o fresadas, que dirigen el fresado y la colocación de los implantes a la posición preoperatoria

«Los sistemas de navegación nos ofrecen múltiples ventajas frente a la técnica convencional a mano alzada y a la cirugía guiada mediante férulas»
Gaceta Dental · N o 358 | Junio/Julio 2023 Ciencia. ESPECIAL IMPLANTES 45
Figura 1. Planificación protésicamente guiada de implantes en posición de 3.4 y 3.6.

planificada (25). Existe una gran variedad de diseños y tipos de férulas en función de su soporte (muco, óseo o dentosoportadas), o bien fresada o impresa, en función del método de fabricación. En el mercado existen múltiples programas de planificación y diseño de férulas como, por ejemplo, CoDiagnostix, BlueSky Bio, DTX, Implant studio, etc. (Figura 2).

Para confeccionar las férulas quirúrgicas es necesario el uso de un software específico de planificación digital e importar tanto los archivos DICOM del CBCT, como el archivo STL obtenido durante el escaneado intraoral de la superficie. Una vez incorporados los archivos, se alinean de manera precisa (superponiendo las imágenes anatómicas del STL con las del CBCT) y se procede a realizar la planificación protésica e implantológica mediante la colocación virtual del implante y de la corona (mock-up o encerado digital). Una vez decidida la posición del implante, se podrá diseñar la férula que guiará su colocación. Finalmente se deberá exportar la férula del programa. Llegados a este punto existen dos opciones: enviar los archivos a un laboratorio o centro de fresado que imprima o frese la férula, o bien, si se dispone de la infraestructura necesaria, se podría optar por la opción «in-house» e imprimir la férula en la misma clínica (Figura 3)

Por último, en el momento del acto quirúrgico se coloca la férula sobre la arcada del paciente, se fija mediante «pins» de sujeción, en caso de que se hayan planificado (sobre todo, en caso de férulas óseo y mucosoportadas) y se procede al fresado del implante con la secuencia habitual. La CAO nos permite practicar técnicas quirúrgicas, tanto con colgajo como sin colgajo o «flapless». Para el fresado es necesario un kit de fresas y aditamentos específicos para poder guiarse con precisión a través de la anilla de la férula (Figura 4). Normalmente se dispone de dos tipos de sistemas: los sistemas que usan unas guías (como cucharillas o galgas) que reducen el diámetro de la anilla en función del diámetro de la secuencia de fresado, o bien un juego de fresas que en la parte más coronal son más anchas y coinciden con el diámetro de la anilla. En ambos sistemas lo que se busca es un control sobre la desviación tridimensional de la fresa. Finalmente, una vez realizado el fresado guiado se procede a la colocación del implante, también guiado mediante unos transportadores específicos. Analizamos la planificación de un caso clínico operado con CAO estática en las Figuras 5 y 6

Figura 2. Impresión de férula quirúrgica y modelo 3D de la arcada del paciente.
Gaceta Dental · N o 358 | Junio/Julio 2023 ESPECIAL IMPLANTES. Ciencia 46
Figura 3. Sistema de impresora 3D «in-house» que permite imprimir en la misma clínica dental las férulas quirúrgicas.

Figura 4. Caso clínico en el que se colocan tres implantes en posición de 1.2, 1,4 y 1.5 mediante cirugía guiada estática. Se puede observar en la férula quirúrgica que en el 1.2 no se colocó anilla y se realizó un fresado parcialmente guiado y solo se guió la primera fresa piloto. En los implantes en 1.4 y 1.5 se realizó una cirugía totalmente guiada.

Gaceta Dental · N o 358 | Junio/Julio 2023 Ciencia. ESPECIAL IMPLANTES 47

Los protocolos de CAO estática son muy amplios y permiten introducir adaptaciones o modificaciones, como practicar cirugías parcialmente guiadas, en las que solo se permite el uso de la fresa piloto o bien de la totalidad de la secuencia de fresado guiado (Figuras 4 y 7). Aunque la colocación de implante se hace a mano alzada, también puede confeccionarse una férula específica que permita practicar una cirugía preprotésica, como una regularización ósea guiada previa a la colocación de los implantes, o bien terminar el procedimiento con una carga inmediata con la ayuda de una férula guiada que posiciona la prótesis

antes de resinar los aditamentos temporales en su posición ideal. Las ventajas que ofrecen estos sistemas ayudan, no solo a mejorar a nivel de precisión, ya que se han reportado desviaciones inferiores a los 1,5 mm de desviación lineal, sino que también permiten reducir el tiempo quirúrgico, aumentar la predictibilidad de los tratamientos, incorporar protocolos mínimamente invasivos sin colgajo, realizar carga inmediata con mayor facilidad, aumentar la seguridad de las cirugías y reducir el riesgo de lesión de estructuras anatómicas e incluso, en determinados casos, reducir la necesidad de cirugías reconstructivas

Gaceta Dental · N o 358 | Junio/Julio 2023 ESPECIAL IMPLANTES. Ciencia 48
Figura 5. Planificación virtual de la colocación de implantes en posición de 2.4, 2.5 e implante pterigoideo. Posterior diseño de la férula e impresión 3D.

complejas al poder colocar los implantes angulados aprovechando arbotantes anatómicos de forma precisa (25, 26).

Existen varias revisiones sistemáticas con metaanálisis que calculan los valores de precisión medios ponderados de toda la literatura disponible al respecto, así pues, Bover-Ramos y cols. reportan una desviación angular de 3,48 (95% Intervalo de Confianza (IC) 2.96 a 3.99) y una desviación en la plataforma del implante de 1,03 (95% IC 0.88 a 1,18) (26).

No obstante, también presenta limitaciones que se deben tener en cuenta: la inversión económica inicial y sus costes comparados a los de la cirugía convencional, la necesidad de

Figura 6. Caso clínico en el que se combina cirugía guiada estática para colocar implantes en posición de 2.4, 2.5 y un implante pterigoideo junto con regeneración ósea guiada horizontal en zona de premolares.
Gaceta Dental · N o 358 | Junio/Julio 2023 ESPECIAL IMPLANTES. Ciencia 50
Figura 7. Diseño de férula quirúrgica parcialmente guiada para guiar solo la fresa piloto.

un kit de fresas específico, la pérdida del «tacto» o sensación del tipo de hueso que se está fresando al tener que fresar a través de una férula, la reducción de la irrigación de las fresas al pasar a través de la anilla, el aumento del tiempo preoperatorio y de planificación, y como todas las técnicas nuevas, pasar por una curva de aprendizaje.

Cirugía asistida por ordenador dinámica

Más recientemente, se ha implementado la CAO dinámica o

también conocida como «sistemas de navegación». Los sistemas de navegación en Implantologia consisten en el uso de unas cámaras de seguimiento y programas que, a través de la detección de unos marcadores ópticos colocados sobre el paciente y el contra-ángulo, ofrecen un seguimiento a tiempo real de la posición relativa de la fresa o del implante sobre la arcada del paciente a través del CBCT con la planificación que se ha hecho previamente. En otras palabras, el sistema de navegación informa

Figura 8. Simulación del funcionamiento de un sistema de cirugía guiada dinámica.
Gaceta Dental · N o 358 | Junio/Julio 2023 Ciencia. ESPECIAL IMPLANTES 51
Figura 9. Cirugía guiada por ordenador dinámica mediante dos sistemas de navegación. A: Navident. B: X guide.

en tiempo real, durante la cirugía, en qué posición exacta del maxilar del paciente estamos fresando y colocando el implante (Figuras 8 y 9) (21, 27).

Si utilizamos el símil del navegador GPS de un móvil, nosotros definimos una ubicación de destino u objetivo donde llegar que correspondería a la posición final del implante, un conjunto de satélites (en Implantologia serían las cámaras de seguimiento) que detectan nuestra posición actual (la posición del contraángulo) y el móvil (o el software del sistema de navegación), que nos

guía mediante indicaciones en tiempo real a nuestro destino (posición planificada del implante).

Actualmente, en el mercado existen varios sistemas de CAO dinámicos, siendo probablemente los más conocidos Navident y X-Guide (Figura 8). No obstante, existen muchos otros sistemas y cada vez van desarrollando otros nuevos (27). Los componentes básicos necesarios para realizar una cirugía «navegada» o mediante un sistema de navegación son: un marcador

para el paciente, un marcador

para el contraángulo, una cámara

óptico óptico Figura 11. Marcador óptico del contraángulo junto con el marcador óptico del paciente de dos sistemas de navegación.
Gaceta Dental · N o 358 | Junio/Julio 2023 ESPECIAL IMPLANTES. Ciencia 52
Figura 10. Marcador óptico colocado al paciente. En la imagen de la izquierda, el marcador óptico se puede fijar sobre la cabeza del paciente, al ser un implante planificado en la arcada superior. En arcada inferior (imagen de la derecha), el marcador óptico debe fijarse sobre la misma arcada inferior (normalmente sobre dientes remanentes) debido al movimiento de la mandíbula.

Oferta de másteres propios

Duración: 2 años | Créditos ECTS: 120

Tipología del máster: TEORÍA ONLINE ONLINE

TRASTORNOS DEL SUEÑO PARA MÉDICOS Y ODONTÓLOGOS

TERAPIA REGENERATIVA BUCOFACIAL Y REHABILITACIÓN IMPLANTOLÓGICA ORAL

ABIERTO PLAZO DE INSCRIPCIÓN

Hasta el 30 de septiembre de 2023

MÁS INFORMACIÓN EN: www. fundacioneduardoanitua.org

Tipología
del máster: PRESENCIAL Incluídos en la oferta formativa de posgrado de la Universidad del País Vasco

estereoscópica y un ordenador con el software de planificación y seguimiento. Adicionalmente, algunos sistemas incluyen algún tipo de marcador radiológico o férula para fijar sobre la arcada del paciente los marcadores ópticos (Figuras 10 y 11) Respecto a los detalles técnicos, el procedimiento clave por el que funciona un sistema de navegación es el proceso de registro. Este procedimiento consiste en «superponer» las imágenes de manera virtual de la reconstrucción 3D del CBCT sobre la arcada del propio paciente. En otras palabras, hay que dar unas coordenadas espaciales a la arcada del paciente en relación con el marcador óptico que le colocamos y que éstas estén apareadas con las imágenes anatómicas del CBCT (28). El procedimiento de registro en CAIS dinámico, en inglés llamado «image-to-patient registration», se puede realizar de dos maneras, por un lado, mediante el uso de marcadores radiológicos introducidos durante el escaneado CBCT (normalmente soportados mediante

férulas o clips termoplásticos). Dichos marcadores serán automáticamente detectados por el programa del sistema de navegación y, durante la cirugía, serán sustituidos por otros marcadores ópticos. En este caso, al colocar el marcador óptico en la misma posición donde estaba el marcador radiológico, el software ya tendrá toda la información sobre la posición espacial tridimensional del paciente, siempre y cuando la férula o clip sea reposicionado, de manera precisa, en la misma posición preoperatoria (Figura 12) (29, 30).

Actualmente, se ha propuesto otro sistema sin marcadores radiológico o «markerless» que funciona mediante la selección de mínimo 3 puntos fiduciarios o puntos de referencia en el CBCT (normalmente cúspides y ángulos o bordes incisales), que posteriormente serán trazados con una sonda específica con marcadores ópticos sobre la arcada del paciente (Figura 13). Al darle la información al software de la posición exacta de al menos 3 puntos que dibujen un triángulo, el sistema de

Gaceta Dental · N o 358 | Junio/Julio 2023 ESPECIAL IMPLANTES. Ciencia 54
Figura 12. Férula termoplástica adaptada a la arcada del paciente. A: Colocación del marcador radiológico sobre la férula adaptada a la arcada del paciente previo a la realización del CBCT. B: Reconocimiento y registro automático del marcador radiológico por parte del programa del sistema de navegación. C: Colocación del marcador óptico específico previo a la cirugía guiada.

navegación ya tendrá información de la coordenadas espaciales donde está ubicada la arcada del paciente (31, 32).

Hoy en día, podemos considerar el método de registro sin marcadores radiológicos como el más preciso y cómodo para el paciente. Por un lado, porque puede utilizarse cualquier CBCT sin ningún marcador específico facilitando el flujo de trabajo, reduciendo el tiempo operatorio y, en algunos casos, el número de veces que irradiamos al paciente y, por otro lado, si durante la cirugía se detecta alguna imprecisión, puede realizarse el trazado de nuevo o añadir más puntos fiduciarios de referencia (más de 3), hasta conseguir la precisión deseada. En cambio, con el uso de marcadores radiológicos no puede hacerse un «reregistro», puesto que sería necesario empezar de nuevo. Adicionalmente, en el caso de usar marcadores radiológicos, normalmente, el escáner CBCT debe practicarse un día distinto al de la cirugía implantológica, con la consecuente incomodidad

para el paciente y asumiendo el riesgo de que la férula o el clip se pueda modificar y no encajando con precisión el día de la cirugía en la misma posición que el día del registro radiográfico.

Una vez el sistema de navegación ya tenga conocimiento de la ubicación de nuestro paciente, colocaremos los marcadores ópticos en el contra ángulo que se calibrará para darle información al sistema respecto al eje que seguirá la fresa o el implante y su longitud (Figura 14).

Por último, solo con acercar el contraángulo a la zona donde debe ir el implante, el ordenador nos guiará a la posición deseada mediante indicadores visuales, como por ejemplo, la aparición de la posición en tiempo real de la fresa del implante respecto a varios cortes del CBCT, o una diana en la que el centro es la posición ideal (Figura 15). En la Figura 16 analizamos un caso planificado con el programa del sistema de CAO dinámica Navident: en él podemos planificar tanto los implantes, la angulación y longitud de pilares

Figura 13. Selección de los puntos fiduciarios sobre las imágenes del CBCT. Calibración de la sonda específica con marcadores ópticos del sistema de navegación y posterior trazado de los puntos fiduciarios marcados sobre el CBCT del paciente en la arcada del paciente.
Gaceta Dental · N o 358 | Junio/Julio 2023 Ciencia. ESPECIAL IMPLANTES 55

y

la posición en tiempo real de la fresa o implante. Debajo de la pantalla a la izquierda podemos observar una diana que nos va a ayudar a guiar el fresado a la posición predefinida del implante. Debemos centrar tanto el eje como la punta de la fresa y la cabeza del contraángulo virtual en el centro de la diana. Hasta que la fresa virtual no se pone de color verde, lo que significa que está a más de 0,5 mm de distancia de la planificación. En la imagen de la derecha podemos observar una regla que nos muestra la profundidad a la que se encuentra el implante en tiempo real.

transepiteliales y la posición virtual de la prótesis.

En un metanálisis publicado recientemente (27) hemos observado desviaciones angulares muy pequeñas cercanas a 2o en estudios in vitro, y por debajo de 4o, en estudios clínicos; siendo la media ponderada de ambas de 2,88o (95% IC: 2,84 a 2,93).

Respecto a las desviaciones lineales, tanto en la plataforma como en el

ápice del implante, las desviaciones fueron de 0,75 mm (95% IC 0,73 a 0,76) y de 1,11 mm (95% IC 1,09 a 1,13). respectivamente. Estas desviaciones demuestran la gran precisión y exactitud de estos sistemas que consiguen unas desviaciones prácticamente imperceptibles al ojo humano (Figura 17)

Los estudios concluyen que los sistemas de CAO dinámicos son

Figura 14. Calibración del eje y longitud de la fresa y/o implante en dos sistemas de cirugía guiada. Figura 15. Instrucciones del programa de navegación para guiar al cirujano a la posición planificada del implante. Podemos observar varios cortes del CBCT del paciente, en los que vemos en amarillo la posición planificada del implante en verde
Gaceta Dental · N o 358 | Junio/Julio 2023 ESPECIAL IMPLANTES. Ciencia 56

Figura 16. Cirugía guiada dinámica mediante el sistema de navegación Navident. Planificación virtual de implante en 2.4, 2.5 y pterigoideo para evitar realizar una elevación de seno. Planificamos también la posición de pilares transepiteliales angulados y rectos y coronas virtuales para definir la correcta emergencia de los implantes.

más precisos que la colocación de implantes a mano alzada y reportan resultas similares, en términos de precisión, a los sistemas de CAO estáticos (29, 32, 33).

Así pues, los sistemas de navegación nos ofrecen múltiples ventajas frente a la técnica convencional a mano alzada y a la cirugía guiada mediante férulas. En la Tabla 1 podemos observar un resumen de las ventajas y limitaciones de estos sistemas.

La tecnología de los sistemas de navegación avanza muy deprisa y constantemente se están estudiando y evaluando nuevos protocolos

que puedan mejorar, incluso más, la precisión de la CAO dinámica. Se está estudiando la fusión de la CAO estática y dinámica para mejorar los resultados clínicos (34, 35); también el uso de la realidad aumentada para visualizar la planificación y la posición a tiempo real del implante a través de unas gafas, lo que ya se ha probado en algunos estudios recientemente (Figura 18) (36).

Por otro lado, la reducción del tamaño y peso de la cámara de seguimiento (actualmente requiere de un carro de grandes dimensiones para sujetarlo) y la introducción de la cámara en el mismo contraángulo

Gaceta Dental · N o 358 | Junio/Julio 2023 Ciencia. ESPECIAL IMPLANTES 57

del implante es ya una realidad y un prometedor estudio reporta resultados precisos comparables a las cámaras de tamaño convencional (37).

Por último, hay que destacar que ya existe evidencia aportada por estudios prospectivos de implantes dentales colocados mediante cirugía

robótica asistida por ordenador. Aunque los estudios son limitados y con muestras de tamaño reducido, los resultados son muy precisos y pronto podrán verse más sistemas de CAO robótica (38).

Hoy en día, basándonos en la evidencia científica actual,

Figura 17. Superposición del CBCT preoperatorio con la planificación del implante y el CBCT postoperatorio con la posición final del implante para verificar la precisión.
58 Gaceta Dental · N o 358 | Junio/Julio 2023 ESPECIAL IMPLANTES. Ciencia
Tabla 1. Resumen de las ventajas y limitaciones de la cirugía asistida por ordenador dinámica.

incorporar en la práctica clínica diaria el uso de las nuevas tecnologías en Implantología puede afirmarse que es una ventaja. La

BIBLIOGRAFÍA

1. MORASCHINI V, POUBEL LADC, FERREIRA VF, BARBOZA EDSP. Evaluation of survival and success rates of dental implants reported in longitudinal studies with a follow-up period of at least 10 years: A systematic review. Int J Oral Maxillofac Surg. 2015; 44: 377–88.

2. HAO CP, CAO NJ, ZHU YH, WANG W. The osseointegration and stability of dental implants with different surface treatments in animal models: a network meta-analysis. Sci Rep. 2021; 11: 13849.

3. SAMMARTINO G, MARENZI G, DI LAURO AE, PAOLANTONI G. Aesthetics in oral implantology: Biological, clinical, surgical, and prosthetic aspects. Implant Dent 2007; 16: 54–65.

4. PAPASPYRIDAKOS P, CHEN CJ, CHUANG CK, WEBER HP, GALLUCCI GO. A systematic review of biologic and technical complications with fixed implant rehabilitations

cirugía asistida por ordenador es un claro ejemplo, ya que puede facilitar la cirugía durante la colocación de implantes, ofreciendo al paciente mayor calidad del tratamiento, así como mayor seguridad y precisión en la posición del implante, traduciéndose a largo plazo en una mayor estabilidad de los tejidos periimplantarios y de la rehabilitación protésica. ●

AGRADECIMIENTOS

Al Dr. Javier Bara por su colaboración y cesión de imágenes.

for edentulous patients, Int. J. Oral Maxillofac. Implants. 2012; 27: 102–10.

5. CHRCANOVIC BR, ALBREKTSSON T, WENNERBERG A. Reasons for failures of oral implants. J Oral Rehabil. 2014; 41: 443–76.

6. ALBREKTSSON T, ZARB G, WORTHINGTON P, ERIKSSON AR. The long-term efficacy of currently used dental implants: a review and proposed criteria of success. Int J Oral Maxillofac Implants. 1986; 1: 11–25.

7. ZITZMANN NU, MARINELLO CP. Treatment plan for restoring the edentulous maxilla with implant-supported restorations: removable overdenture versus fixed partial denture design. J Prosthet Dent. 1999; 82: 188-96.

8. BUSER D, MARTIN W, BELSER UC. Optimizing esthetics for implant restorations in the anterior maxilla: anatomic

Figura 18. Cirugía asistida por ordenador dinámica mediante el uso de realidad aumentada.
Gaceta Dental · N o 358 | Junio/Julio 2023 ESPECIAL IMPLANTES. Ciencia 60

and surgical considerations. Int J Oral Maxillofac Implants. 2004; 19: 43–46.

9. GUERRERO ME, JACOBS R, LOUBELE M, SCHUTYSER F, SUETENS P, VAN STEENBERGHE D. State-of-the-art on cone beam CT imaging for preoperative planning of implant placement. Clin Oral Investig. 2006; 10: 1–7.

10. BORNSTEIN MM, HORNER K, JACOBS R. Use of cone beam computed tomography in implant dentistry: current concepts, indications and limitations for clinical practice and research, Periodontol. 2000. 2017; 73: 51–72.

11. WISMEIJER D, JODA T, FLUGGE T, FOKAS G, TAHMASEB A, BECHELLI D, ET AL. Group 5 ITI Consensus Report: Digital technologies. Clinical Oral Implants Research, 2018; 29: 436–42.

12. ROMANOS GE, DELGADO-RUIZ R, SCULEAN A. Concepts for prevention of complications in implant therapy. Periodontol 2000. 2019; 81: 7–17.

13. GREENSTEIN G, CAVALLARO J, ROMANOS G, TARNOW D. Clinical recommendations for avoiding and managing surgical complications associated with implant dentistry: A review. J Periodontol 2008; 79: 1317–1329.

14. HÄMMERLE CHF, TARNOW D. The etiology of hard- and soft-tissue deficiencies at dental implants: A narrative review. J Periodontol 2018; 89: 291–303.

15. MARTIN W, POLLINI A, MORTON D. The influence of restorative procedures on esthetic outcomes in implant dentistry: A systematic review. Int J Oral Maxillofac Implants 2014; 29: 142–54.

16. CLARK D, BARBU H, LOREAN A, MIJIRITSKY E, LEVIN L. Incidental findings of implant complications on postimplantation CBCTs: A cross-sectional study. Clin Implant Dent Relat Res 2017; 19: 776–82.

17. GAÊTA ARAUJO H, OLIVEIRA SANTOS N, MANCINI AXM, OLIVEIRA ML, OLIVEIRA SANTOS C. Retrospective assessment of dental implant-related perforations of relevant anatomical structures and inadequate spacing between implants/ teeth using cone-beam computed tomography. Clin Oral Investig. 2020; 4: 3281-8.

18. ENGKAWONG S, MATTHEOS N, PISARNTURAKIT PP, PIMKHAOKHAM A, & SUBBALEKHA K. Comparing patient-

reported outcomes and experiences among static, dynamic computer-aided, and conventional freehand dental implant placement: A randomized clinical trial. Clin Implant Dent and Rel Res, 2021; 23: 660–70.

19. PIMKHAOKHAM A, JIARANUCHART S, KABOOSAYA B, ARUNJAROENSUK S, SUBBALEKHA K, MATTHEOS N. Can computer-assisted implant surgery improve clinical outcomes and reduce the frequency and intensity of complications in implant dentistry? A critical review. Periodontol 2000. 2022; 90: 197-223.

20. FEINE J, ABOU-AYASH S, AL MARDINI M, ET AL. Group 3 ITI consensus report: patient-reported outcome measures associated with implant dentistry. Clin Oral Implants Res. 2018; 29: 270–275.

21. JUNG RE, SCHNEIDER D, GANELES J, WISMEIJER D, ZWAHLEN M, HAMMERLE CHF, & TAHMASEB A. Computer technology applications in surgical implant dentistry: a systematic review. Int J Oral Maxillofac Implants. 2009; 24: 92–109.

22. VERCRUYSSEN M, FORTIN T, WIDMANN G, JACOBS R, QUIRYNEN M. Different techniques of static/dynamic guided implant surgery: Modalities and indications. Periodontol 2000. 2014; 66: 214-27.

23. D’HAESE J, ACKHURST J, WISMEIJER D, DE BRUYN H, TAHMASEB A. Current state of the art of computerguided implant surgery. Periodontol 2000. 2017; 73: 12133.

24. BLOCK MS, EMERY RW. Static or dynamic navigation for implant placement choosing the method of guidance. J Oral Maxillofac Surg. 2016; 74: 269-77.

25. TAHMASEB A, WISMEIJER D, COUCKE W, DERKSEN W. Computer technology applications in surgical implant dentistry: a systematic review. Int J Oral Maxillofac Implants, 2014; 29: 25–42.

26. BOVER RAMOS F, VINA ALMUNIA J, CERVERA BALLESTER J, PENARROCHA DIAGO M, GARCÍA MIRA

B. Accuracy of implant placement with computerguided surgery: A systematic review and meta-analysis comparing cadaver, clinical, and in vitro studies. Int J Oral Maxillofac Implants. 2018; 33: 101–15.

27. JORBA GARCÍA A, GONZÁLEZ BARNADAS A, CAMPS FONT O, FIGUEIREDO R, VALMASEDA CASTELLÓN

E. Accuracy assessment of dynamic computer-aided implant placement: a systematic review and metaanalysis. Clin Oral Investig, 2021; 25: 2479–94.

28. G. EGGERS J, MÜHLING JR, MARMULLA. Image-topatient registration techniques in head surgery, Int J

Oral Maxillofac Surg. 2006; 35: 1081–95.

29. AYDEMIR CA, ARISAN V. Accuracy of dental implant placement via dynamic navigation or the freehand method: A split-mouth randomized controlled clinical trial. Clin Oral Implants Res. 2020; 31: 255–63.

30. BLOCK MS, EMERY RW, CULLUM DR, SHEIKH A. Implant placement is more accurate using dynamic navigation. J Oral Maxillofac Surg 2017; 75: 1377–86.

31. STEFANELLI LV, MANDELARIS GA, DEGROOT BS, GAMBARINI G, DE ANGELIS F, DI CARLO S. Accuracy of a Novel Trace-Registration Method for Dynamic Navigation Surgery. Int J Periodontics Restorative Dent. 2020; 40: 427–435.

32. JORBA-GARCÍA A, BARA-CASAUS JJ, CAMPS-FONT O, SÁNCHEZ-GARCÉS MA, FIGUEIREDO R, VALMASEDACASTELLÓN E. Accuracy of dental implant placement with or without the use of a dynamic navigation assisted system: A randomized clinical trial. Clin Oral Implants Res. 2023. Online ahead of print.

33. KAEWSIRI D, PANMEKIATE S, SUBBALEKHA K, MATTHEOS N, PIMKHAOKHAM A. The accuracy of static vs. dynamic computer-assisted implant surgery in single tooth space: A randomized controlled trial. Clin Oral Implants Res, 2019; 30: 505–14.

34. YOTPIBULWONG T, ARUNJAROENSUK S, KABOOSAYA B, SINPITAKSAKUL P, ARKSORNNUKIT M, MATTHEOS N, PIMKHAOKHAM A. Accuracy of implant placement with a combined use of static and dynamic computer-assisted implant surgery in single tooth space: A randomized controlled trial. Clin Oral Implants Res. 2023. Online ahead of print.

35. POMARES-PUIG C, SÁNCHEZ-GARCÉS, JORBA-GARCÍA A. Dynamic and static computer-assisted implant surgery for completely edentulous patients. A proof of a concept. J Dent. 2023; 130: 104443.

36. PELLEGRINO G, MANGANO C, MANGANO R, FERRI A, TARASCHI V, MARCHETTI C. Augmented reality for dental implantology: a pilot clinical report of two cases. BMC Oral Health. 2019; 19.

37. EDELMANN C, WETZEL M, KNIPPER A, LUTHARDT RG, SCHNUTENHAUS S. Accuracy of computer-assisted dynamic navigation in implant placement with a fully digital approach: A prospective clinical trial. J Clin Med. 2021; 10: 1808.

38. RAWAL S, TILLERY DEJ, BREWER P. Robotic-Assisted Prosthetically Driven Planning and Immediate Placement of a Dental Implant. Compend Contin Educ Dent. 2020; 41: 26–30.

62 Gaceta Dental · N o 358 | Junio/Julio 2023 ESPECIAL IMPLANTES. Ciencia

Planificación de cirugía guiada de implantes con sistema de guía quirúrgica sin anillas metálicas

A propósito de un caso clínico

Desde la aparición de los primeros implantes dentales han sido numerosos los cambios en los mismos, ya sea en morfología macroscópica, microscópica a nivel de superficies, tipos de titanio, conexiones protéticas, longitudes, anchuras, etc. Sin embargo, si hay algo importante, más allá del implante que se coloque, es la posición ideal de dicho implante que, en todo momento, deberá ir guiado por la prótesis que va a soportar. De hecho, nuestros pacientes, en la mayoría de los casos, tan solo piensan en recuperar sus dientes perdidos, y no tanto en los implantes que soportan esos dientes. Es por ello que en los últimos años, y mediante la utilización de métodos digitales, es posible alcanzar una precisión en la planificación

Especial implantes
Codirector del Máster de Implantología de la Universidad de Vitoria-Gasteiz EUNEIZ. Miembro SCOI, MINEC. Valladolid. Dr. Antonio Jiménez Garrudo Codirector del Máster de Implantología Universidad de Vitoria-Gasteiz EUNEIZ. Miembro SCOI, MINEC. Salamanca. Dr. Miguel Murua Uribe Profesor del Máster de Implantología Universidad de Vitoria-Gasteiz EUNEIZ. Miembro SCOI, MINEC. Logroño. Juan Ignacio Sierra Protésico Dental. Laboratorio SG Dental. Valladolid. DR. ANTONIO GARCÍA SANZ
Gaceta Dental · N o 358 | Junio/Julio 2023 ESPECIAL IMPLANTES. Caso clínico 64
Con la colaboración de:

y posterior realización de los tratamientos con implantes que, hasta la fecha, no era posible desde el punto de vista analógico tradicional. De este modo, somos capaces de tener una prótesis provisional o, incluso, definitiva antes de la colocación de los implantes y poder realizar tanto una carga como una «estética» inmediata, o ir generando unos perfiles de emergencia adecuados previos a la colocación de la misma durante el periodo de oseointegración. Sin embargo, para su realización es necesario llevar a cabo un flujo de trabajo digital que requiere de aparatología específica, como es el caso de una prueba radiológica CBCT y un escáner intraoral debidamente realizado. De la exactitud de los mismos dependerá la correcta correlación de imágenes en el posterior estudio de software de planificación. Del acúmulo de errores en estos pasos previos a la planificación de los casos dependerá el éxito del tratamiento mediante la utilización del software y posterior realización de la prótesis, en este caso, corona implantosoportada atornillada. Es importante la suficiente estabilidad primaria del implante, tanto para su correcta oseointegración como para la carga protética, y para ello existen dispositivos en el mercado como los indicadores de índice de frecuencia de resonancia que nos aportan información crucial sobre dicha estabilidad.

Concluimos que la mejor forma de realizar un tratamiento implantológico, a día de hoy, es mediante la planificación exhaustiva del caso utilizando los métodos digitales de los que disponemos. Los diferentes softwares de planificación digital son herramientas imprescindibles en la

«La mejor forma de realizar un tratamiento implantológico, a día de hoy, es mediante la planificación exhaustiva del caso utilizando los métodos digitales de los que disponemos»
Gaceta Dental · N o 358 | Junio/Julio 2023 Caso clínico. ESPECIAL IMPLANTES 65
Figuras 1 a y b. Análisis extraoral de la sonrisa.

Implantología actual, aunque requieren de una curva de aprendizaje y la utilización de guías quirúrgicas que permiten la colocación de implantes en una posición 3D óptima para lograr la realización protética acorde a las necesidades del paciente.

Palabras claves: planificación quirúrgica digital, posición 3D ideal, carga inmediata, perfil de emergencia, guía quirúrgica, CBCT, escaneado intraoral, encerado virtual, perfil de emergencia.

ABSTRACT

Since the appearance of the first dental implants, there have been numerous changes in them, whether in macroscopic or microscopic morphology at the surface level, types of titanium, prosthetic connections, lengths, widths, etc. However, if there is something important beyond the implant that is placed, such as the ideal position of that implant, which at all times must be guided by the prosthesis that it will support. In fact, our patients, in most cases, only think about recovering their lost teeth and not so much about the implants that support those teeth.

That is why in recent years, and through the use of digital methods, it is possible to achieve precision in the planning and subsequent performance of implant treatments that up to now was not possible from the traditional analog point of view. In this way, we are even able to have a provisional or even definitive prosthesis before implant placement and be able to carry out both a load and an immediate «esthetics», or to generate adequate emergence profiles prior to its placement during the osseointegration period.

However, for its realization it is necessary to carry out a digital workflow that requires specific equipment, such as a CBCT radiological test and a properly performed intraoral scanner. The correct correlation of images in the subsequent planning software study will depend on their accuracy. The accumulation of errors in these steps prior to planning the cases will depend on the success of the treatment through the use of the software and subsequent realization of the prosthesis, in this case screw-retained implant-supported crown.

Sufficient primary stability of the implant is important, both for its correct osseointegration and for prosthetic loading, and for this there are devices on the market such as the Resonance Frequency Index indicators that provide us with information about the amount of bone surrounding the implant.

We conclude that the best way to carry out an implant treatment today is through exhaustive planning of the case using the digital methods available to us. The different digital planning software are essential tools in current implantology, although they require a correct learning curve and

Gaceta Dental · N o 358 | Junio/Julio 2023 ESPECIAL IMPLANTES. Caso clínico 66
«Es importante la suficiente estabilidad primaria del implante, tanto para su correcta oseointegración como para la carga protética»

the use of surgical guides allows the placement of implants in an optimal 3D position to achieve the prosthetic realization according to the patient’s needs.

Keywords: digital surgical planning, ideal 3D position, immediate loading, emergence profile, surgical guide, CBCT, intraoral scan, virtual wax-up, emergency profile.

CASO CLÍNICO

Paciente con ausencia de diente número 12 y compromiso estético. Portador de una prótesis adhesiva a los dientes adyacentes, demanda la

reposición de su diente mediante un implante oseointegrado (Figuras 1a, b y 2 a-d) (1, 2).

La colocación de implantes en el sector anterior estético puede ser un reto para el clínico, que necesita recopilar toda la información posible para realizar un correcto diagnóstico individualizado de cada caso (3).

En primer lugar, es imprescindible hacer un análisis estético de la sonrisa tanto extraoral (Figura 1) como intraoral (Figura 2).

La cantidad de hueso y el tejido blando determinarán la estrategia y técnicas a seguir en cada caso. Es importante resaltar que la posición

Figuras 2 a y b. Análisis intraoral de la sonrisa.
Gaceta Dental · N o 358 | Junio/Julio 2023 Caso clínico. ESPECIAL IMPLANTES 67
Figuras 2 c y d. Análisis del espacio protético para la futura corona.

del implante dependerá de la prótesis que decidamos colocar. En este caso, optamos por una corona implantosoportada atornillada. Para ello, nos valemos de métodos diagnósticos como es el CBCT (Figura 3) (4, 5) y el escáner intraoral (Figura 4) (6-8) y optamos por un enfoque con un flujo digital completo. Con las imágenes obtenidas podemos realizar un encerado digital de la futura corona del implante (Figura 5) (9, 10).

Con la superposición de imágenes, y teniendo en cuenta el encerado digital realizado, podemos evaluar la posición exacta 3D del implante con respecto a dicha corona y las características en cuanto a diámetro y longitud del mismo (Figura 6) (11).

Asimismo, el software permite la obtención de imágenes donde el clínico puede valorar las distintas densidades óseas previo al procedimiento quirúrgico, siendo de

Figura 3. CBCT importado del paciente para su posterior procesamiento en el software R2Gate (Megagen). Figura 4. Imagen del escaneado intraoral para el procesamiento de la imagen. R2Gate (Megagen).
Gaceta Dental · N o 358 | Junio/Julio 2023 ESPECIAL IMPLANTES. Caso clínico 70
Figura 5. Encerado digital de la futura corona atornillada al implante. Figura 6. Planificación 3D óptima de la posición del implante previa a la realización de la guía quirúrgica con respecto al diseño de la corona deseada. R2Gate (Megagen).
Gaceta Dental · N o 358 | Junio/Julio 2023 Caso clínico. ESPECIAL IMPLANTES 71
Figura 7. Valoración de las distintas densidades óseas según cada caso.

ayuda para la elección del implante mas idóneo (Figura 7) (12-14).

El espacio protético reducido en sentido mesio-distal (Figura 8) y cierto colapso óseo horizontal (Figura 9) requieren de una adecuada posición tridimensional del implante en sentido mesio-distal y vestíbulolingual, sin tener que recurrir a procedimientos de regeneración ósea guiada durante el procedimiento quirúrgico.

En este caso, la guía quirúrgica dispone de otra ventana de verificación (Figura 10) para la réplica exacta del interior de la conexión

implantaria y la posible colocación inmediata de un diente provisional atornillado fabricado previamente a la cirugía, así como ventanas de verificación del asentamiento y ajuste de las mismas, asegurando su correcto posicionamiento intraoral (Figura 11) y la óptima colocación del implante

(Figuras 12 y 13)

La fabricación de la guía quirúrgica sin anillas metálicas se realiza mediante la utilización de una impresora 3D (15) (Figuras 14-16). En este caso, las fresas están diseñadas para ajustar

Figura 10. Guía quirúrgica con ventanas de verificación implantarias. Figura 11. Ventajas de verificación en dientes adyacentes. Figura 8. Espacio protético mesio-distal en diente 12. Figura 9. Procedimiento quirúrgico previo a la colocación de la guía quirúrgica.
Gaceta Dental · N o 358 | Junio/Julio 2023 ESPECIAL IMPLANTES.
72
Caso clínico

ESPECIAL IMPLANTES. Caso clínico

Figura 14. Provisional realizado en laboratorio mediante impresora 3D. Figura 15. Corona provisional. Figura 12. Marcas del instrumento de inserción para la colocación correcta del implante. Figura 13. Colocación 3D óptima. Anyridge 3.5x10 Mm (Megagen).
Gaceta Dental · N o 358 | Junio/Julio 2023
74
Figura 16. Corona provisional con perfil de emergencia adecuado. Figura 17. Provisionalización inmediata. Estado de los tejidos a las 4 semanas. Figura 18. Estado de los tejidos periimplantarios a las 6 semanas tras la colocación del implante. Figura 19. Imagen en reposo del tercio inferior del paciente. Figuras 20 y 21. Imágenes extraorales del paciente.
Gaceta Dental · N o 358 | Junio/Julio 2023 Caso
75
Figura 22. Radiografía periapical de control Anyride 3.5x10 (Megagen).
clínico. ESPECIAL IMPLANTES

perfectamente con el tubo de inserción de las mismas (Guided Surgical Kit Megagen) y no requieren de distintos adaptadores para su utilización.

La provisionalización inmediata favorecerá la creación de un correcto perfil de emergencia (16) que, posteriormente, se irá modificando solo o en combinación

BIBLIOGRAFÍA

1. BRÄNEMARK PI. Osseointegration and its experimental background. J Prosthet Dent. 1983; Vol 50 (nº3).

2. GUGLIEMONTI MB, OLMEDO DG, CABRINI RL. Research on implants and osseointegration. Periodontol 2000. 2019; 79: 178189.

3. MORTON D, CHEN ST, MARTIN WC, LEVINE RA, BUSER D. Consensus Statements and Recommended Clinical Procedures Regarding Optimizing Esthetic Outcomes in Implant Dentistry. Int J Oral Maxillofac Implants. 2014; 29 Suppl: 216-20.

4. BORSTEIN M, SCARFE WC, VAUGHN VM, JACOBS R. Cone Beam Computed Tomography in Implant Dentistry: a systematic review focusing on guidelines, indications and radiation dose risks. Int J Oral Maxillofac Implants. 2014; 219 Suppl:55-77.

5. JACOBS R, SALMON B, CODARI M, HASSAN B, BORSTEIN MM. Cone Beam Computed Tomography in Implant Dentistry. BMC Oral Health. 2018; 18-88.

6. KOMURO A, YAMADA Y, VESUGI S, TERASHIMA H, KIMURA M, KISHIMOTO H, IIDA T, SAKAMOTO K, OKUDA K, KUSANO K, BABA S, SAKAMOTO T. Accuracy and dimensional reproductibility by model scanning, intraoral scanning and CBCT imaging for digital implant dentistry. Int J Implant Dent. 2021; Jun 30; 7 (1): 63.

7. MANGANO F, GANDOLFI A, LUONGO G, LOGOZZO S. Intraoral Scanners in Dentistry: a review of the current literature. BMC Oral Health. 2017; 17: 149.

8. SAWASE T, KUROSHIMA S. The current clinical relevancy of intraoral scanners in implant dentistry. Dent Mat J. 2020; Jan 31; 39 (1): 57-61.

con técnicas de modificación de tejido blando (Figura 17), y obteniendo una adecuada salud de los tejidos periimplantarios (Figura 18)

El resultado es la colocación del implante en posición óptima junto a la colocación de una corona atornillada, recuperando, así, el paciente tanto la estética como la función perdida (Figuras 19-22) ●

9. GREENBERG AM. Digital Technologies for Dental Implant Treatment Planning and Guided Surgery. Oral Maxillofac Surg Clin North Am. 2015; May 27 (2): 319-40.

10. D´HASE J, ACKHHURST J, WEISMEIJER D, DE BRUYN H, TAHMASEB A. Current State of the Art of Computer-Guided Implant Surgery. Periodontol 2000. 2017; Vol 73 (121-133).

11. BUSER D, CHAPPUIS V, BELSER UC, CHEN S. Implant Placement Postextraction sites: When immediate, When early, When late?. Periodontol 2000. 2017; Vol 73 (84-102).

12. SMITKARU P, SUBBALEKHA K, MATTHEOS N. The accuracy of single-tooth implants placed using fully digital-guided surgery and freehand implant surgery. J Clin Periodontol. 2019;Sep 46 (9): 949-957.

13. KERNEN F, KRAMER J, WANNER L, WEISMAIER D, NELSON K, FLÜGGE T. A review of virtual planning software for guided implant surgery-data import and visualization, drill guide design and manufacturing. BMC Oral Health. 2020; 20: 251.

14. FLÜGGE T, KRAMER J, NELSON K, NAHLES S, HERREN F. Digital implantology: a review of virtual planning software for guided implant surgery. Part II: Prosthetic set-up and virtual implant planning. BMC Oral Health. 2022, Vol Jan 30; 22 (1): 23.

15. YEUNG M, ABDULMAJEED A, CARRICO CK, DEEB GR, BENCHARIT S. Accuracy and precition of 3Dprinted implant surgical guides with different implant systems: an in vitro study. J Prosthet Dent. 2020; Jun; 123 (6): 821-828.

16. HAMILTON A, NAKAPAKSIN P, KAMOLROONGWARAKUL P, GALLUCCI GO. Implant prosthodontic

design as a predisposing or precipitating factor for peri-implant disease: a review. Clin Implant Dent Relat Res. 2023; 1-13.
76 Gaceta Dental · N o 358 | Junio/Julio 2023 ESPECIAL
IMPLANTES. Caso clínico
+34678212819 +34956302371 ¡SOLICITATUDEMO! ¡NUEVOS ¡NUEVOS LANZAMIENTOS! LANZAMIENTOS! AoralScan3 Wireless N NT lScan 3 reless MetiSmile Escáner facial Visítanos: www.scannice.com info@target3d.com C/delaIndustria10nave1 11407Jerezdelafrontera

Implantología monofásica, una herramienta más en rehabilitación oral

Los implantes monofásicos, o monobloque, suponen una herramienta clásica en rehabilitación del paciente edéntulo. Históricamente la investigación científica y las publicaciones se han centrado en los implantes que podemos conocer como convencionales, pero existe cierta tendencia al alza a la rehabilitación con este tipo de implantes. Se presentan dos casos clínicos de arcadas completas rehabilitadas con implantes monofásicos y prótesis fija tipo 1 (PF1).

INTRODUCCIÓN

Los implantes dentales supusieron una revolución en rehabilitación oral, principalmente en pacientes edéntulos totales cuya única alternativa eran las prótesis removibles mucosoportadas.

Especial implantes
Licenciado en Odontología. Profesor asociado de Medicina Oral. Universidad de Barcelona. Dra. Carla Cadenas Sebastián Graduada en Odontología. Profesora asociada de Prostodoncia. Universidad de Barcelona. Dr. José López López Profesor Titular. Facultad de Medicina y Ciencias de la Salud. Departamento de Odontoestomatología. Universitat de Barcelona. Dr. Raúl Ayuso Montero Profesor Agregado. Facultad de Medicina y Ciencias de la Salud. Departamento de Odontoestomatología. Universitat de Barcelona. DR.CARLOS POLIS-YANES
Gaceta Dental · N o 358 | Junio/Julio 2023 ESPECIAL IMPLANTES. Caso clínico 78
Con la colaboración de:

Si bien la osteointegración como concepto no fue presentada por Brånemark et al. hasta 1977 (1), existen dispositivos implantológicos previos como el de Greenfield (1909), el cual presentó el primer implante sumergido, realizado en platino iridiado (2).

La autodenominada Escuela Italiana de Implantología data de unos 15 años antes del primer artículo de Brånemark, cuando Tramonte presentó en 1962 «Un nuovo metodo di impianto endosseo» (3). Desde entonces, la que podríamos denominar Escuela Sueca (o Escuela de Goteborg) y la Escuela Italiana han supuesto dos alternativas de rehabilitación implantológica, siendo, principalmente, la Italiana la promotora y defensora de los implantes monofásicos.

En 1996, Muratori y la Sociedad Española de Implantes (SEI) publicaron un interesante artículo acerca de la historia de la Implantología oral (4).

Aunque los implantes bifásicos que conocemos como convencionales tienen mayor presencia mediática y un mayor número de estudios científicos reglados que los sustentan, los implantes monobloque han sido, y son, para muchos profesionales un medio satisfactorio y eficaz para llegar al fin de rehabilitar pacientes edéntulos parciales y totales.

La rehabilitación sobre estos implantes también ha evolucionado, existiendo actualmente la opción de rehabilitar de la manera clásica con metal colado y cerámica feldespática, hasta materiales más modernos como la zirconia monolítica fresada, polimetilmetracrilato (PMMA), polieteretercetona (PEEK) e, incluso, resina compuesta

«La literatura avala el uso de implantes estrechos como una alternativa con expectativas de éxito similares a los implantes de diámetro convencional»
Gaceta Dental · N o 358 | Junio/Julio 2023 Caso clínico. ESPECIAL IMPLANTES 79
Figura 1. Primera visita. Exploración. Puente antiguo fracasado.

(composite). A pesar de ello, el material que presenta menos complicaciones en grandes rehabilitaciones ferulizadas sigue siendo el metal-cerámica, aunque con la implementación y uso de los escáneres de clínica y laboratorio ha evolucionado y, actualmente, las técnicas más habituales en el procesado del metal son fresados y sinterizados.

CASO 1. (Figuras 1-11)

Mujer, 51 años, sin antecedentes médicos reseñables. Acude por fracaso de una rehabilitación fija dentosoportada previa en el maxilar superior. La paciente solicita una rehabilitación fija con carga inmediata.

Realizamos modelos de estudio, fotografías y pruebas radiográficas. En su tomografía computarizada de haz cónico (CBCT) se aprecia un

reborde alveolar reabsorbido con patrón horizontal. Proponemos una rehabilitación total superior con implantes monobloque.

Realizamos exodoncias de restos radiculares, relleno de gaps con xenoinjerto córticoesponjoso porcino Apatos, Osteógenos® y colocación simultánea de 8 implantes compresivos de la marca Root, Trate®. Simultáneamente, realizamos un duplicado de su rehabilitación previa con resina bisacrílica Luxatemp, DMG® y cargamos de manera inmediata los implantes.

Transcurridos cuatro meses realizamos una prótesis fija (PF1) metal sinterizado y cerámica feldespática con cemento temporal sobre los implantes.

Se realizaron impresiones de silicona de adición Cronolab Spain S.L.® con transfers de

Gaceta Dental · N o 358 | Junio/Julio 2023
80
Figura 2. Ortopantomografía inicial.
ESPECIAL IMPLANTES. Caso clínico

Zirconio y titanio: la combinación perfecta para restauraciones implanto - soportadas

La combinación de ambos materiales ofrece una solución perfecta para fabricar prótesis dentales con alta estética y durabilidad.

Mimetización del color de la barra.

Dificulta la adhesión de la placa bacteriana.

Barras customizadas tanto en altura como en grosor.

Alta estética y durabilidad

Con más de 20 años de experiencia en la fabricación de estructuras y piezas dentales, en CNC Dental seguiremos trabajando en el desarrollo de innovadores materiales de implantología de alta calidad.

Figura 3. Aspecto de los muñones tras retirar la prótesis previa. Figura 5. Provisional superior de resina. Figura 4. Inserción de los implantes y sutura. Figura 6. Aspecto intraoral tras 4 meses, durante la conformación de tejidos blandos. Figura 7. Detalle de la impresión de silicona.
Gaceta Dental · N o 358 | Junio/Julio 2023
82
Figura 8. Modelos de yeso con réplicas y prótesis fija metalcerámica finalizada.
ESPECIAL IMPLANTES. Caso clínico

impresión rotacionales, vaciado con réplicas de resina en modelo de escayola que posteriormente fue digitalizado.

CASO 2. (Figuras 12-20)

Varón de 55 años, exfumador. Con mal estado oral generalizado, fracaso de tratamientos antiguos y colapso vertical asociado a su oclusión en clase 2 y ausencias dentales de larga trayectoria.

Realizamos fotografías y pruebas radiográficas, así como modelos y encerado diagnóstico. Debido al poco

volumen óseo horizontal valorado en su CBCT proponemos al paciente una rehabilitación con implantes monobloque en maxilar superior y prótesis fija dentosoportada en maxilar inferior.

Realizamos exodoncias de dientes remanentes superiores, relleno de gaps con xenoinjerto cortico-esponjoso porcino Apatos, Osteógenos® y colocación de 9 implantes compresivos Root, Trate® simultáneos a una regeneración horizontal con materiales reabsorbibles

Figura 9. Prótesis fija definitiva. Figura 11. Ortopantomografía final.
Gaceta Dental · N o 358 | Junio/Julio 2023 Caso clínico. ESPECIAL IMPLANTES 83
Figura 10. Detalle oclusal de la prótesis definitiva.

(xenoinjerto Apatos, Osteógenos® y membrana dérmica porcina Derma, Osteógenos® fijada por vestibular con chinchetas y por palatino con sutura) y carga inmediata basada en su encerado con una prótesis fija provisional de PMMA que rebasamos en boca con resina bisacrílica Luxatemp, DMG®.

Transcurridos cuatro meses se procedió al tallado de los muñones para paralelizarlos, se tomaron impresiones con silicona de adición Cronolab Spain S.L.® y realizamos

prótesis fija (PF1) metal-cerámica sobre implantes y sobre sus dientes. Ambas cementadas con cemento provisional. Tres meses después realizamos cementado definitivo de la inferior para reducir el riesgo de caries y mantuvimos el cementado provisional superior para poder realizar mantenimientos en caso de necesidad.

DISCUSIÓN

A pesar de poseer una literatura menos sólida como respaldo, los

Figura 12. Primera visita. Exploración intraoral. Figura 14. Inserción de implantes, regeneración ósea guiada en primer cuadrante, fijada con chinchetas y sutura perióstica palatina.
84 Gaceta Dental · N o 358 | Junio/Julio 2023
Figura 13. Ortopantomografía inicial.
ESPECIAL IMPLANTES. Caso clínico
Figura 15. Provisional inmediato de PMMA. Figura 17. Tallado de dientes inferiores conservables. Figura 16. Muñones tallados previos a la realización de la prótesis definitiva. Figura 18. Prótesis definitivas montadas en modelos digitales impresos. Figura 19. Colocación de prótesis definitivas.
Gaceta Dental · N o 358 | Junio/Julio 2023 ESPECIAL
86
Figura 20. Ortopantomografía final.
IMPLANTES. Caso clínico

artículos publicados sobre los implantes monofásicos arrojan resultados alentadores.

Barrachina et al. (2013) encontraban, en una revisión sistemática, tasas de supervivencia elevadas en implantes monobloque (5).

Autores como Durrani et al. (2021) sostienen que estos implantes son conceptualmente más fuertes debido a que no tienen una conexión, lo que también elimina de la ecuación algunas complicaciones protésicas como el gap o las fracturas de tornillos. Así como la ventaja de la carga inmediata y el abordaje de las arcadas completas edéntulas con rebordes reabsorbidos, lo que hace que un

tipo de implantes que inicialmente podía ser concebido como provisional suponga una manera definitiva de rehabilitar (6).

Wagner y Hartung (2021) presentaron una serie de 5 casos con el propósito de mostrar una alternativa sencilla y exitosa para reponer dientes ausentes con implantes monobloque (7).

Conceptos como el «One Abutment at One Time» defienden que el uso de un pilar intermedio colocado de manera inmediata sobre los implantes dentales en dos fases supone un menor remodelado óseo periimplantario (8), así como el «Platform switching», el cual sostiene que disminuir el diámetro del pilar protésico con

Caso clínico. ESPECIAL IMPLANTES

respecto al cuerpo del implante también ayuda a reducir la pérdida ósea marginal (9). Asimismo, la literatura avala el uso de implantes estrechos como una alternativa con expectativas de éxito similares a los implantes de diámetro convencional (10).

Estos conocimientos podrían ser aplicados a los implantes monobloque, dado que su propia anatomía supone que el pilar protésico es parte del implante, y es más estrecho que el cuerpo del mismo, dejando más espacio al tejido blando. Además, en atrofias horizontales es frecuente que se utilicen implantes de diámetro reducido.

CONCLUSIÓN

La implantología monofásica supone una herramienta útil y lógica en rehabilitación oral. Son necesarios estudios serios para evidenciar científicamente lo que la experiencia de algunos profesionales ya ha demostrado, así como crear protocolos y sistemática de trabajo. ●

AGRADECIMIENTOS

Al técnico de laboratorio David Ruiz; Davident® Valencia (España).

BIBLIOGRAFÍA

1. BRÅNEMARK PI, HANSSON BO, ADELL R, BREINE U, LINDSTRÖM J, HALLÉN O, OHMAN A. Osseointegrated implants in the treatment of the edentulous jaw. Experience from a 10-year period. Scand J Plast Reconstr Surg Suppl. 1977; 16: 1-132.

2. GREENFIELD EJ. Report of a clinic presented at N.A.D.A. convention [abstract]. Dental Cosmos. 1911; 53: 455.

3. TRAMONTE S.M. Un nuovo metodo di impianto endosseo. V° Congresso Nazionale SIOCMF, Napoli 1962, pp23-29.

4. MURATORI G. Implantología, ayer, hoy y mañana. 16 Congreso Nacional y 9 Internacional de Implantología. Sociedad Española de Implantes. 1996.

5. BARRACHINA-DIEZ JM, TASHKANDI E, STAMPF S, ATT W. Long-term outcome of one-piece implants. Part I: implant characteristics and loading protocols. A systematic literature review with meta-analysis. Int J Oral Maxillofac Implants. 2013 Mar-Apr; 28 (2): 503-18.

6. DURRANI F, NAHID R, PANDEY S, SINGH P, PANDEY A. One-

piece implants: Careful approach for complex rehabilitation. Natl J Maxillofac Surg. 2021 May-Aug; 12 (2): 266-270.

7. WAGNER G, HARTUNG D. One-Piece Titanium Implants: Retrospective Case Series. Case Rep Dent. 2021 Apr 8; 2021: 6688355.

8. SANTOS JS, SANTOS TS, MARTINS-FILHO PRS, KROCKOW NV, WEIGL P, PABLO H. One Abutment at One Time Concept for Platform-Switched Morse Implants: Systematic Review and Meta-Analysis. Braz Dent J. 2018 Jan-Feb; 29 (1): 7-13.

9. GUPTA S, SABHARWAL R, NAZEER J, TANEJA L, CHOUDHURY BK, SAHU S. Platform switching technique and crestal bone loss around the dental implants: A systematic review. Ann Afr Med. 2019 Jan-Mar; 18 (1): 1-6.

10. GONZÁLEZ VALLS G, ROCA MILLAN E, CÉSPEDES SÁNCHEZ JM, GONZÁLEZ NAVARRO B, TORREJÓN MOYA A, LÓPEZ LÓPEZ J. Narrow Diameter Dental Implants as an Alternative Treatment for Atrophic Alveolar Ridges. Systematic Review and Meta-Analysis. Materials (Basel). 2021 Jun 11; 14 (12): 3234.

Gaceta Dental · N o 358 | Junio/Julio 2023 ESPECIAL IMPLANTES. Caso clínico 88

Implantes híbridos en pacientes con antecedentes de periodontitis

Odontólogo. Estudiante de Máster de Periodoncia USC, Departamento de Tratamientos complejos en Periodoncia y terapéutica periodontal aplicada a la Implantología de la Universidad de Santiago de Compostela, Facultad de Medicina y Odontología.

Dr. Rafael Domínguez, Dra. Mafalda Brinco, Dr. Álvaro Carballo, Dra. Ana María Rubinos y Dra. María Vázquez Odontólogos. Estudiantes de Máster de Periodoncia USC, Departamento de Tratamientos complejos en Periodoncia y terapéutica periodontal aplicada a la Implantología de la Universidad de Santiago de Compostela, Facultad de Medicina y Odontología.

Dr. Germán Barbieri

Profesor colaborador del Máster de Periodoncia USC, Departamento de Tratamientos complejos en Periodoncia y terapéutica periodontal aplicada a la implantología de la Universidad de Santiago de Compostela, Facultad de Medicina y Odontología.

Dr. Juan Blanco

Profesor titular de Periodoncia de la Universidad de Santiago de Compostela, Departamento de Tratamientos complejos en Periodoncia y terapéutica periodontal aplicada a la implantología de la Universidad de Santiago de Compostela, Facultad de Medicina y Odontología.

En las últimas décadas los implantes dentales han sido el tratamiento de elección para sustituir los dientes perdidos, con un buen pronóstico a largo plazo (1, 2). La microtextura de la superficie del implante ha acelerado el proceso de osteointegración (3) y, recientemente, la bioquímica de la misma ha mejorado la cicatrización ósea temprana (4). Sin embargo, cuando estos implantes con topografía superficial modificada se exponen al entorno bucal, existe un posible impacto de estas superficies en la adhesión bacteriana, aumentando la formación de biopelículas y, por ende, la inflamación del tejido periimplantario. Actualmente, aunque las tasas de supervivencia en tratamientos con implantes dentales son elevadas (5), la prevalencia de enfermedades periimplantarias es también muy alta. En España, un 27% de los pacientes y un 27% de los implantes en el caso de la mucositis, así como un 24% de los pacientes y un 20% de los implantes en el caso de la periimplantitis (6). La periimplantitis y la

Especial implantes
Gaceta Dental · N o 358 | Junio/Julio 2023 ESPECIAL IMPLANTES. Caso clínico 90
DR. ANTONIO ARNAU

periodontitis presentan características clínicas comunes. Se ha demostrado que las lesiones de estas dos patologías muestran grandes cantidades de infiltrado inflamatorio, extendiéndose en el caso de la periimplantitis a un nivel más apical que en la periodontitis (7, 8).

Además de las características de la superficie del implante, existe evidencia sólida de que existe un mayor riesgo de desarrollar periimplantitis en pacientes con antecedentes de periodontitis, escasa capacidad de control de la placa y sin cuidados regulares de mantenimiento tras el tratamiento con implantes. Sin embargo, los datos que identifican el «tabaquismo» y la «diabetes» como posibles factores de riesgo o indicadores de periimplantitis no son concluyentes (9).

Para reducir la implicación de los factores de riesgo relacionados con los implantes, se han propuesto los implantes híbridos, en los que los dos tercios apicales tienen una superficie moderadamente rugosa y el tercio coronal tiene una superficie mecanizada. El objetivo, por tanto, de este diseño de implante es proporcionar una porción coronal, que, si queda expuesta al medio bucal, podría limitar la adhesión del biofilm reduciendo así la infiltración inflamatoria y facilitar el posible tratamiento de la enfermedad periimplantaria.

CASO 1 (Figuras 1-11)

Presentación del caso

Paciente varón de 58 años, fumador de 10 cigarrillos/día que padece hipertensión y depresión. Medicado con Pravastatina®, Enalapril®, Sedotime® y Escitalopram®.

Tras la exploración clínica y radiológica, se clasifica como

«Existe un mayor riesgo de desarrollar periimplantitis en pacientes con antecedentes de periodontitis, escasa capacidad de control de la placa y sin cuidados regulares de mantenimiento tras el tratamiento con implantes»
Gaceta Dental · N o 358 | Junio/Julio 2023 Caso clínico. ESPECIAL IMPLANTES 91
Shutterstock/Marius Pirvu.

paciente con enfermedad periodontal estadio IV, grado C (Figuras 1-3).

Objetivos del tratamiento

El objetivo principal es detener la progresión de la periodontitis, a través de la reducción de la profundidad de sondaje, índice de placa y sangrado. La salud periodontal en un periodonto reducido se define clínicamente como

la presencia de sangrado al sondaje en <10% de las localizaciones, bolsas periodontales poco profundas con profundidad de sondaje (PS) ≤ 4 mm y ausencia de localizaciones con PS > 4 mm y sangrado al sondaje (10). Una vez conseguido esto, se repondrán dientes faltantes mediante la colocación de implantes para devolver la correcta función al paciente.

Figura 1. Fotos intraorales 1 visita. Figura 3. Serie radiográfica inicial.
Gaceta Dental · N o 358 | Junio/Julio 2023 ESPECIAL IMPLANTES. Caso clínico 92
Figura 2. Periodontograma inicial.

¡Descubre el futuro!

La solución innovadora y funcional para rehabilitaciones dentales de alta calidad, ajuste perfecto, gran durabilidad y alta exigencia estética que estabas esperando.

¡No esperes más, prueba BIOFIT y adelántate al futuro!

PROMOCIÓN LANZAMIENTO

15 % DESCUENTO*

bioinnovaciondental.com Polígono Mutilva, Calle V, Nave 24 31192 Mutilva • Navarra • +34 948 277 430
*Promoción válida hasta el 31 de julio 2023

Plan de tratamiento

De acuerdo con la Guía de Práctica Clínica de Nivel S3 de la Federación Europea de Periodoncia (EFP) (11), el plan de tratamiento consistió en:

-Paso 1.

• Presentación del caso al paciente, motivación y control de factores de riesgo.

• Eliminación profesional del cálculo supragingival.

• Instrucciones de higiene oral con cepillo manual e higiene interproximal (12) con revelador de placa.

- Paso 2.

• Eliminación del biofilm y cálculo mediante instrumentación subgingival y exodoncia de 12, 47, 37 y 38. La instrumentación subgingival se realizó en 2 sesiones con ultrasonidos y curetas. Se prescribió además un colutorio de clorhexidina al 0,12% durante 2 semanas (13).

A los tres meses se realizó la reevaluación periodontal. La respuesta a la fase básica fue satisfactoria, el porcentaje de bolsas ≥4 mm pasó de un 89% a un 18%, el índice de sangrado pasó del 93% a un 27% y el índice de placa del 70% al 40%. En esta cita se realizó un refuerzo de higiene oral ya que el control de placa no era el adecuado (Figuras 4-6)

- Paso 3.

Una vez conseguido el adecuado control de placa, el plan de tratamiento restaurador estaba contemplado manteniendo los dientes 15, 13, 21 y 23 y, sobre estos, realizar una prótesis fija dento-soportada e implantes en 16 y 24-26. En uno de los controles de placa, tras un período vacacional el paciente acudió con ausencias de 21 y 23. Por tanto, se cambió el planteamiento restaurador y se optó por una

restauración completa de la arcada superior mediante sobredentadura sobre 4 implantes, en este caso utilizando implantes híbridos debido al perfil del paciente.

Se realizó una planificación prótesica a través de una prueba de dientes convencional, que, una vez validada con el paciente, se digitalizó a través de un escaneado intraoral. Para poder alinear este escaneado intraoral con el CBCT del paciente, se preparó la prueba de dientes con agregados de composite y se realizó el CBCT con la prueba en boca. Una vez alineados los archivos DCM con los STL correctamente, se planificó la colocación de implantes Ticare Quattro Periohybrid (Mozo-Grau SA, Valladolid, España) en posiciones 14: 4,25 mm x10 mm; 12: 4,25 mm x 10 mm; 22: 3,75 mm x 10 mm y 25: 3,75 mm x 11,5 mm (Figura 7) mediante una férula de cirugía guiada para el fresado de estos implantes (Figura 8). Una vez concluido el acto quirúrgico y colocados los pilares Ticare cónicos de 10º y 3mm de altura, se tomaron radiografías de control (Figura 9). A la semana, se procedió a la retirada de la sutura y 8 semanas después de la cirugía, se llevó

Gaceta Dental · N o 358 | Junio/Julio 2023 ESPECIAL IMPLANTES. Caso clínico 94
«Los datos que identifican el ‘tabaquismo’ y la ‘diabetes’ como posibles factores de riesgo o indicadores de periimplantitis no son concluyentes»
Figura 6. Fotos de control de placa Figura 4. Periodontograma de reevaluación. Figura 5. Serie radiográfica de reevaluación.
Gaceta Dental · N o 358 | Junio/Julio 2023 Caso clínico. ESPECIAL IMPLANTES 95
Figura 7. Planificación digital de diseño prótesis y posición de los implantes. Figura 8. Cirugía de colocación de implantes Ticare Quattro Periohybrid (Mozo-Grau SA, Valladolid, España) con férula guiada. Figura 9. Radiografías periapicales post-quirúrgicas tras la colocación de los pilares Ticare cónicos de 10 º y 3 mm de altura (Mozo-Grau SA, Valladolid, España). Figura 10. Fotos de sutura, 1 semana después, y prueba de barra fresada Ticare Biocam (Mozo-Grau SA, Valladolid, España) a las 8 semanas.
Gaceta Dental · N o 358 | Junio/Julio 2023 ESPECIAL
98
Figura 11. Radiografías con barra atornillada.
IMPLANTES. Caso clínico

a cabo la prueba de ajuste de la barra fresada Ticare Biocam; parte de la prótesis definitiva (Figuras 10 y 11).

CASO 2 (Figuras 12-18)

Presentación del caso Mujer de 68 años, no fumadora, diabética tipo II, hipotiroidea.

Medicada con Eutirox®. Tras la exploración clínica y radiológica, se clasifica como paciente con periodontitis estadio IV, grado B (Figuras 12-14)

El objetivo principal es detener la progresión de la enfermedad mediante el tratamiento periodontal,

Figura 12. Fotografías intraorales frontal y oclusal correspondientes al estudio periodontal inicial. Podemos ver como la paciente lleva prótesis parciales removibles en ambas arcadas.
Gaceta Dental · N o 358 | Junio/Julio 2023 Caso clínico. ESPECIAL IMPLANTES 99
Figura 13. Serie radiográfica periapical inicial.

conseguir unos buenos hábitos para el paciente y reducir la placa a <20%.

Plan de tratamiento

El plan de tratamiento consistió en:

- Paso 1

El primer paso del tratamiento tiene por objetivo inducir un cambio de comportamiento en el paciente; mediante la motivación, control de los factores de riesgo, así como la introducción de medidas de higiene oral.

Este primer paso del tratamiento debe aplicarse a todos los pacientes con periodontitis, independientemente

del estadio en que se encuentre su enfermedad, y debe reevaluarse con frecuencia con el fin de obtener la respuesta apropiada en los siguientes pasos del tratamiento.

- Paso 2

Eliminación del biofilm y cálculo mediante instrumentación subgingival. La instrumentación subgingival se realizó en 2 sesiones, empezando por el lado derecho y, a continuación, el lado izquierdo. Se prescribió, además, un colutorio de clorhexidina al 0,12% durante 2 semanas.

A los tres meses se realizó la reevaluación periodontal. Aunque

Figura 14. Periodontograma inicial. Podemos observar sondajes de > 6mm y un control de placa deficiente (índice de placa > 40%).
Gaceta Dental · N o 358 | Junio/Julio 2023 ESPECIAL IMPLANTES.
clínico 100
Caso

la respuesta a la fase básica fue satisfactoria, se decidió reinstrumentar las bolsas residuales de forma puntual. Dos meses después, el control periodontal era adecuado (sangrado ≤ 10% y índice de placa ≤20 %), por lo que se decidió pasar a la rehabilitación con implantes (Figura 15)

- Paso 3

Como tratamiento restaurador se planteó la colocación de implantes para la recuperación de la función

masticatoria. En el tercer y cuarto cuadrante se diseñaron prótesis fijas sobre IOI, 34-36 con una extensión en 33 y sobre 4.4 y 4.6 con un póntico en 4.5.

El diseño de la prótesis se diseñó digitalmente basándose en la prótesis removible de la paciente, digitalizándose gracias al escáner intraoral. La cirugía de colocación de implantes se realizó de forma guiada debido a la anatomía de la cresta ósea, en filo de cuchillo.

Gaceta Dental · N o 358 | Junio/Julio 2023 Caso clínico. ESPECIAL IMPLANTES 101
Figura 15. Periodontograma reevaluación.

Una vez hecha la alineación de los archivos DCM con los STL, se decidió la colocación de implantes en posiciones 34: Ticare Quattro Periohybrid (MozoGrau SA, Valladolid, España) 3,75 mm x 10 mm; 36: Ticare Inhex (Mozo-Grau SA, Valladolid, España) 4,25 mm x 6 mm; 44: Ticare Quattro Periohybrid (Mozo-Grau SA, Valladolid, España) 3,3 mm x 10 mm y 46: Ticare Inhex (Mozo-

Grau SA, Valladolid, España) 4,25 mm x 6 mm (Figuras 16 y 17). Se confeccionó una férula de cirugía guiada para el fresado de implantes.

En este caso, se decidió realizar un abordaje levantando colgajo en ambos lados debido a la dificultad del fresado a nivel coronal y la falta de anclaje posterior de la férula de cirugía guiada. Todos los implantes

Figura 16. Modelos STL superior e inferior. Se utilizó la prótesis inferior como guía para la dimensión vertical y para la planificación de las coronas sobre IOI inferiores. Figura 17. Planificación digital para cirugía de colocación de implantes guiados.
Gaceta Dental · N o 358 | Junio/Julio 2023 ESPECIAL IMPLANTES.
clínico 102
Figura 18. Radiografía periapical de control post-quirúrgico.
Caso

fueron colocados con éxito, con torques de inserción entre 2540N. Además, se instalaron pilares Ticare transepiteliales cónicos de 10 º y altura 3 mm (Mozo-Grau SA, Valladolid, España) en el mismo momento, excepto en 44 (Figura 18)

implantes híbridos en comparación con los implantes convencionales del mismo diseño, y este mostró resultados similares en cuanto al mantenimiento estable de los niveles óseos periimplantarios (16).

DISCUSIÓN

Hoy en día, la evidencia sobre los implantes híbridos sigue siendo limitada. Por un lado, existen estudios observacionales en los que se informa de que este diseño de implante puede dar lugar a mayores tasas de supervivencia y a una menor pérdida ósea, en comparación con los implantes moderadamente rugosos (14). Por otro lado, en un ensayo clínico prospectivo en el que se compararon implantes totalmente grabados con implantes híbridos no logró demostrar una diferencia en cuanto a la incidencia de periimplantitis al cabo de 5 años, aunque en la inclusión de los pacientes no se tuvo en cuenta el perfil de riesgo del paciente (15).

Recientemente, un ensayo clínico aleatorizado evaluó la eficacia clínica y microbiológica a corto plazo de los

Para tratar de esclarecer el patrón de colonización microbiana de los implantes híbridos se han desarrollado experimentos in vivo e in vitro. Por un lado, un estudio basado en el modelo experimental de periimplantitis inducida por ligaduras en perro Beagle (17), no halló diferencias en cuanto a la carga bacteriana total entre los implantes híbridos y rugosos, sin embargo durante la progresión espontánea de la enfermedad, los implantes híbridos mostraron niveles estadísticamente significativos más bajos de IL-1 β , la cual fue correlacionada positivamente con la profundidad de sondaje. Por otro lado, un estudio que utilizó un modelo de biopelícula multiespecie dinámico in vitro validado (18) se obtuvieron unos resultados en los que la cantidad de biomasa bacteriana fue significativamente mayor en las superficies de los implantes moderadamente rugosas, en comparación con la superficie mecanizada de los implantes híbridos en todos los tiempos de incubación.

CONCLUSIÓN

Aunque los resultados a corto plazo son prometedores, son necesarios más estudios clínicos bien diseñados y a largo plazo que corroboren los hallazgos de los estudios actuales y evidencien que el implante híbrido obtiene mejores resultados frente a los implantes convencionales en la prevención de enfermedades periimplantarias en poblaciones de riesgo, más allá de la plausibilidad biológica. ●

Gaceta Dental · N o 358 | Junio/Julio 2023 Caso clínico. ESPECIAL IMPLANTES 103
«Podemos concluir que los implantes híbridos pueden ser de ayuda a largo plazo en pacientes con mayor riesgo de complicaciones biológicas»

BIBLIOGRAFÍA

1. JUNG RE, ZEMBIC A, PJETURSSON BE, ZWAHLEN M, THOMA DS. (2012). Systematic review of the survival rate and the incidence of biological, technical, and aesthetic complications of single crowns on implants reported in longitudinal studies with a mean follow-up of 5 years. Clinical oral implants research 23 Suppl 6, 2–21.

2. ROMEO E, STORELLI S. Systematic review of the survival rate and the biological, technical, and aesthetic complications of fixed dental prostheses with cantilevers on implants reported in longitudinal studies with a mean of 5 years follow-up. Clinical oral implants research 23 Suppl 6, 39–49.

3. ABRAHAMSSON I, BERGLUNDH T, LINDER E, LANG NP, LINDHE J. (2004). Early bone formation adjacent to rough and turned endosseous implant surfaces. An experimental study in the dog. Clinical oral implants research 15 (4), 381–392.

4. BUSER D, MARTIN W, BELSER UC. (2004). Optimizing esthetics for implant restorations in the anterior maxilla: anatomic and surgical considerations. The International journal of oral & maxillofacial implants 19 Suppl, 43–61.

5. BUSER D, JANNER SF, WITTNEBEN JG, BRÄGGER U, RAMSEIER CA, SALVI GE. 10-year survival and success rates of 511 titanium implants with a sandblasted and acid-etched surface: a retrospective study in 303 partially edentulous patients. Clin Implant Dent Relat Res. 2012 Dec; 14 (6): 839-51.

6. RODRIGO D, SANZ-SÁNCHEZ I, FIGUERO E, LLODRÁ JC, BRAVO M, CAFFESSE RG, VALLCORBA N, GUERRERO A, HERRERA D. Prevalence and risk indicators of peri-implant diseases in Spain. J Clin Periodontol. 2018 Dec;45 (12): 1510-1520.

7. BERGLUNDH T, ZITZMANN NU, DONATI M. Are periimplantitis lesions different from periodontitis lesions? J Clin Periodontol. 2011 Mar;38 Suppl 11:188-202.

8. CARCUAC O, ABRAHAMSSON I, ALBOUY JP, LINDER E, LARSSON L, BERGLUNDH T. Experimental periodontitis and peri-implantitis in dogs. Clin Oral Implants Res. 2013; 24: 363-371.

9. SCHWARZ F, DERKS J, MONJE A, WANG HL. Periimplantitis. J Clin Periodontol. 2018 Jun;45 Suppl 20:S246-S266.

10. CHAPPLE ILC, MEALEY BL, VAN DYKE TE, BARTOLD PM, DOMMISCH H, EICKHOLZ P, GEISINGER ML, GENCO RJ, GLOGAUER M, GOLDSTEIN M, GRIFFIN TJ, HOLMSTRUP P, JOHNSON GK, KAPILA Y, LANG NP, MEYLE J,

MURAKAMI S, PLEMONS J, ROMITO GA, SHAPIRA L, TATAKIS DN, TEUGHELS W, TROMBELLI L, WALTER C, WIMMER G, XENOUDI P, YOSHIE H. Periodontal health and gingival diseases and conditions on an intact and a reduced periodontium: Consensus report of workgroup 1 of the 2017 World Workshop on the Classification of Periodontal and Peri-Implant Diseases and Conditions. J Periodontol. 2018 Jun;89 Suppl 1:S74-S84.

11. HERRERA D, SANZ M, KEBSCHULL M, JEPSEN S, SCULEAN A, BERGLUNDH T, PAPAPANOU PN, CHAPPLE I, TONETTI MS. EFP Workshop Participants and Methodological Consultant. Treatment of stage IV periodontitis: The EFP S3 level clinical practice guideline. J Clin Periodontol. 2022 Jun; 49 Suppl 24:4-71.

12. VAN DER WEIJDEN FA, SLOT DE. Efficacy of homecare regimens for mechanical plaque removal in managing gingivitis a meta review. J Clin Periodontol. 2015 Apr; 42 Suppl 16:S77-91.

13. DA COSTA LFNP, AMARAL CDSF, BARBIRATO DDS, LEÃO ATT, FOGACCI MF. Chlorhexidine mouthwash as an adjunct to mechanical therapy in chronic periodontitis: A meta-analysis. J Am Dent Assoc. 2017 May; 148 (5): 308-318.

14. GALLEGO L, SICILIA A, SICILIA P, MALLO C, CUESTA S, SANZ M. A retrospective study on the crestal bone loss associated with different implant surfaces in chronic periodontitis patients under maintenance. Clin Oral Implants Res. 2018 Jun; 29 (6): 557-567.

15. ZETTERQVIST L, FELDMAN S, ROTTER B, VINCENZI G, WENNSTRÖM JL, CHIERICO A, STACH RM, KENEALY JN. A prospective, multicenter, randomized-controlled 5-year study of hybrid and fully etched implants for the incidence of peri-implantitis. J Periodontol. 2010 Apr; 81 (4): 493-501.

16. SERRANO B, SANZ-SÁNCHEZ I, SERRANO K, MONTERO E, SANZ M. One-year outcomes of dental implants with a hybrid surface macro-design placed in patients with history of periodontitis: A randomized clinical trial. J Clin Periodontol. 2022 Feb; 49 (2): 90-100.

17. MONJE A, EICK S, BUSER D, SALVI GE. Microbial and host-derived biomarker changes during ligatureinduced and spontaneous peri-implantitis in the Beagle dog. J Periodontal Res. 2021 Jan; 56 (1): 93-100.

18. BRAVO E, SERRANO B, RIBEIRO-VIDAL H, VIRTO L, SÁNCHEZ IS, HERRERA D, SANZ M. Biofilm formation on dental implants with a hybrid surface microtopography: An in vitro study in a validated multispecies dynamic biofilm model. Clin Oral Implants Res. 2023 May; 34 (5): 475-485.

104 Gaceta Dental · N o 358 | Junio/Julio 2023 ESPECIAL IMPLANTES. Caso clínico

Implante inmediato en incisivo lateral superior con técnica de «socket shield»

Y acceso vestibular para legrado de la lesión periapical

Las extracciones dentales pueden causar cambios volumétricos en los tejidos óseos, caracterizados por la reabsorción del hueso alveolar, especialmente en la pared ósea bucal, con una consiguiente retracción de los tejidos blandos relacionados. Además, las extracciones de múltiples dientes pueden llevar a la pérdida de la papila dental (1).

El proceso fisiológico mencionado anteriormente puede ocasionar un problema estético difícil de resolver cuando realizamos tratamientos con implantes en la región anterior. Por lo tanto, preservar al máximo la anatomía ósea y la arquitectura de los tejidos blandos en la región anterior es obligatorio para conseguir resultados estéticos con restauraciones soportadas por implantes (2).

Chen y Buser (2014) (3) nos muestran, en una revisión sistemática con 114 artículos, que la colocación de implantes inmediatos está asociada con una mayor variabilidad en los

Especial implantes
Profesor del Máster de Cirugía Bucal e Implantología de la Universitat de València (UV). Dr. Juan Carlos Bernabeu Mira Becario FPU y Profesor del Máster de Cirugía Bucal e Implantología de la UV. Dr. Hilario Pellicer Chover Profesor Asociado de Cirugía Bucal y Profesor del Máster de Cirugía Bucal e Implantología de la UV. Dr. David Peñarrocha Oltra Profesor Titular de Cirugía Bucal y CoDirector del Máster de Cirugía Bucal e Implantología de la UV. Instagram del Máster de Cirugía Bucal e Implantología de la UV: @cirubuca
Gaceta Dental · N o 358 | Junio/Julio 2023 ESPECIAL IMPLANTES. Caso clínico 106
DR. IGNACIO TORMO JIMÉNEZ

resultados, con una frecuencia más alta de recesiones mayores de 1 mm de la mucosa vestibular, comparado con los implantes puestos con la técnica de colocación temprana asociados con regeneración ósea guiada.

Casey y Lauciello (1970) (4) aplicaron, por primera vez, la técnica de la sumersión de las raíces para preservar las dimensiones alveolares para la confección de prótesis completas. Huzeler y cols. (2010) (5) hemi-seccionaron el tercer y cuarto premolar en perros Beagle manteniendo el fragmento vestibular 1 mm coronal a la lámina cortical vestibular, introduciendo de este modo la técnica del «socket shield»

Gluckman y cols. (2018) (6) presentaron un estudio retrospectivo de 128 casos de «socket shield» con una tasa de éxito del 96,1%. Gluckman y cols. (2019) (7) enfazitaron en la necesidad de reducir la altura del «socket shield», al menos, a la altura de la tabla cortical vestibular para tratar de evitar la exposición de la lámina dental.

La técnica de «socket shield» ha demostrado una tasa de éxito del 96,5% y excelentes resultados estéticos (8). Sin embargo, sus indicaciones son limitadas. Los dientes afectados por enfermedad periodontal, fracturas radiculares verticales u horizontales por debajo de la cresta ósea y resorción radicular interna podrían influir negativamente en el pronóstico del implante dental (2).

A continuación, se presenta un caso clínico de un implante inmediato en zona estética realizado con la técnica del «socket shield» por un alumno del Máster de Cirugía Bucal e Implantología (I.T.J) bajo la supervisión de un profesor del mismo (H.P.Ch.).

«Preservar al máximo la anatomía ósea y la arquitectura de los tejidos blandos en la región anterior es obligatorio para conseguir resultados estéticos con restauraciones soportadas por implantes»
Gaceta Dental · N o 358 | Junio/Julio 2023
Shutterstock/VH-studio.
107
Caso clínico. ESPECIAL IMPLANTES

CASO CLÍNICO

Información del paciente

Paciente de 46 años de edad que acudió a la Clínica Universitaria del Máster de Cirugía Bucal e Implantología de la Universitat de València. El paciente refería un antecedente de traumatismo en la zona de 21 y 22 hace 30 años, a raíz del cual ambos dientes fueron endodonciados y restaurados con coronas metal-cerámica.

El paciente acudió a la clínica con el 22 decapitado y asintomático. Se trataba de un paciente periodontalmente sano y no fumador. Las alternativas de tratamiento fueron explicadas al paciente. Finalmente, se optó por un implante inmediato con la técnica de «socket shield» y legrado de la

lesión periapical mediante una apicectomía en el mismo momento. Además, se cambió la corona del 21 para mejorar la estética y el ajuste.

Diagnóstico

A la exploración clínica, el paciente presentaba el 22 decapitado, así como un mal ajuste gingival de la corona del 21, probablemente debido a la erupción pasiva del diente. En el examen radiográfico, se observó una lesión periapical de pequeño tamaño en el 22.

Se realizó una Tomografía Computerizada de Haz Cónico (TCHC) (Planmeca® system Promax 3D Classic, Helsinki, Finland), en la que se apreció con

Figura 1. Fotografía intraoral donde apreciamos el 22 decapitado, así como el mal ajuste gingival del 21. Figura 2. Fotografía frontal pretratamiento tras volver a cementar el 22. Figura 3. Radiografía periapical del resto radicular del 22 en la que se aprecia que existe área alrededor del ápice.
Gaceta Dental · N o 358 | Junio/Julio 2023 ESPECIAL IMPLANTES.
108
Figura 4. Corte de la TCHC donde se aprecia la disponiblidad de hueso en apical y palatino del diente así como la lesión periapical.
Caso clínico

detalle el tamaño de la lesión y la disponibilidad de hueso en apical y palatino en el que anclar el implante inmediato (Figuras 1-4)

Intervenciones terapéuticas

Fue planificada la colocación del implante mediante la técnica de «socket shield», manteniendo la lámina vestibular de la raíz para preservar el contorno gingival del diente. Para conseguir legrar la lesión, sin movilizar la lámina vestibular, se realizó una incisión semilunar de Partsch, la apicectomía de la raíz y el legrado y eliminación de la lesión periapical.

Para evitar que el paciente fuese sin la corona del diente mientras la cirugía era planificada, se cementó

la corona que el paciente nos traía, siendo conocedor él mismo, de que se trataba de un cementado provisional hasta el día de la cirugía.

Para realizar este procedimiento, se utilizó anestesia local infiltrativa con articaína con epinefrina 1:100.000 (Laboratorios Inibsa, Barcelona, España).

Se comenzó con la odontosección de la raíz en forma de T con fresa Lindemann (Komet®) para turbina para eliminar los fragmentos palatinos ejerciendo la menor presión posible sobre el fragmento vestibular (Figura 5)

Una vez eliminados los fragmentos palatinos (Figura 6), se realizó la apicectomía antes de adelgazar el fragmento vestibular

Figura 5. Odontosección en T para permitir movilizar los fragmentos palatinos sin luxar la parte vestibular. Figura 6. Fotografía tras extracción de la mitad palatina de la raíz. Figura 7. Despegamiento a espesor completo tras incisión semilunar de distal del 21 a mesial del 23.
Gaceta Dental · N o 358 | Junio/Julio 2023 Caso clínico. ESPECIAL IMPLANTES 109
Figura 8. Fotografía tras apicectomía y legrado de la lesión.

de la raíz para reducir el riesgo de movilizarlo.

Se realizó una incisión semilunar desde distal del 21 hasta mesial del 23 sobrepasando la línea mucogingival (Figura 7). Se despegó un colgajo a espesor completo y se hizo ostectomía con fresa de bola de carburo de tungsteno y pieza de mano de irrigación externa para acceder a la lesión. La lesión se legró mediante

cucharilla Lucas hasta que no quedaron restos de tejido inflamatorio (Figura 8)

A continuación, se adelgazó el fragmento vestibular de la raíz de palatino a vestibular hasta dejar una lámina de dentina de alrededor de 0.5 mm de grosor y 1 mm subcrestal para evitar el riesgo de exposición (Figura 9)

En la fotografía se observan la lámina dental, la lámina ósea de cortical vestibular y, por último, el tejido blando vestibular. Tratamos de minimizar el trauma quirúrgico todo lo posible en las 3 zonas (Figura 10)

Una vez se completó la preparación del «socket shield», se comenzó con el fresado para la colocación de un implante Galimplant® IPX de 3,5 mm de diámetro y 12 mm de longitud. Se utilizó la caja de fresas especiales de Galimplant®: en concreto las fresas con tope a longitud 16 mm. No se consiguió estabilidad primaria suficiente para realizar un provisional

Figura 10. Fotografía de detalle en la que se aprecia como la lámina dental queda 1 mm subcrestal con respecto a la cortical ósea vestibular. Figura 9. Fotografía oclusal tras adelgazamiento de la porción vestibular de la raíz del 22.
Gaceta Dental · N o 358 | Junio/Julio 2023 ESPECIAL IMPLANTES.
110
«La técnica de ‘socket shield’ ha demostrado una tasa de éxito del 96,5% y excelentes resultados estéticos. Sin embargo, sus indicaciones son limitadas»
Caso clínico

de carga inmediata, por lo que se dejó el implante sumergido

(Figuras 11 y 12)

Se rellenó el gap entre el implante y la lámina dental con hueso autólogo obtenido con el fresado del lecho, se colocó una esponja de colágeno y se suturó, tanto la incisión semilunar con puntos simples como el alveolo con un punto en cruz, con Supramid® 4/0 (B.Braun, Rubí, Barcelona, España).

(Figuras 13 y 14)

Como tratamiento postoperatorio se pautó amoxicilina 500 mg (Laboratorios Normon, Paterna, España) cada 8 horas durante 7 días, Ibuprofeno 600 mg (Laboratorios Normon, Paterna, España) cada 8 horas durante 3 días y enjuagues de Clorhexidina 0,12% 3 veces al día durante una semana.

Tras la cirugía, se realizó un control radiográfico en el que se apreció tanto la colocación del

Figura 11. Detalle de la fresa Galimplant® donde vemos como la futura emergencia protésica saldrá por el cíngulo. Figura 12. Colocación del implante dos milímetros subcrestal. Figura 14. Sutura postcirugía. Figura 13. Fotografía de detalle donde vemos el gap existente entre el implante y la lámina dental. Figura 15. Radiografía final post cirugía en la que se aprecia tanto el implante como la porción vestibular de la raíz.
Gaceta Dental · N o 358 | Junio/Julio 2023 Caso
ESPECIAL IMPLANTES 111
clínico.
Figura 16. Fotografía oclusal al mes y medio de la intervención. Figura 17. Fotografía frontal al mes y medio de la intervención. Figura 18. Colocación de la corona provisional para conformar los tejidos blandos. Figura 19. Fotografía tras 2 meses habiendo llevado la corona provisional donde vemos la conformación de ambas papilas.
Gaceta Dental · N o 358 | Junio/Julio 2023 ESPECIAL
112
Figura 20. Fotografía oclusal del perfil de emergencia y el pilar.
IMPLANTES. Caso
clínico Figura 21. Fotografía oclusal tras colocación de la corona definitiva donde se aprecia la preservación de la convexidad de los tejidos blandos vestibulares. Figura 22. Imagen oclusal de detalle. Figura 23. Fotografía frontal tras colocación del 22 y tras haberse cambiado la corona del 21. Figura 24. Corte de la TCHC al año, donde se aprecia la lámina vestibular de dentina, así como la integridad de la cortical vestibular. Figura 25. Radiografía periapical al año de seguimiento.
Gaceta Dental · N o 358 | Junio/Julio 2023 Caso clínico. ESPECIAL IMPLANTES 113
Figura 26. Fotografía frontal a los 12 meses de seguimiento donde observamos la estabilidad de los tejidos blandos.

implante como la lámina vestibular remanente del 22 (Figura 15).

A la semana se retiraron los puntos de sutura y posteriormente se controló al paciente cada 15 días durante el primer mes y, posteriormente, mensualmente hasta el tercer mes. En ese momento se realizó la segunda cirugía, se atornilló un pilar antirrotacional recto estético (Galimplant®, Sarria, España) de 2 mm de altura con torque 30 Ncm y se tomaron medidas para una corona provisional que permitiera terminar de conformar las papilas. A pesar de no haber llevado ningún tipo de provisional podemos ver cómo se mantuvo el volumen vestibular y las papilas sin cambios (Figuras 16 y 17)

Tras la colocación del provisional (Figura 18) se esperó 2 meses para la maduración de los tejidos blandos y entonces se tomaron medidas para la confección de la corona definitiva (Figuras 19 y 20)

Se colocó la corona definitiva con 25 Ncm de torque y el paciente se cambió también la corona del 21, consiguiendo un buen ajuste marginal, así como un correcto cierre de las papilas (Figuras 21-23)

Al año tras la colocación de la corona definitiva, se le realizó la revisión, con radiografía periapical y TCHC.

En ambas pruebas diagnósticas se apreció la estabilidad tanto de los tejidos duros como de los tejidos blandos (Figuras 24-26) ●

BIBLIOGRAFÍA

1. VELASCO BOHÓRQUEZ P, RUCCO R, ZUBIZARRETA MACHO Á, MONTIEL COMPANY JM, DE LA VEGA BURÓ S, MADROÑO EC, MARÍN LSH, HERNÁNDEZ MONTERO S. (2021). Failure Rate, Marginal Bone Loss, and Pink Esthetic with Socket-Shield Technique for Immediate Dental Implant Placement in the Esthetic Zone. A Systematic Review and Meta-Analysis. Biology, 10 (6), 549. https://doi.org/10.3390/biology10060549.

2. HAN CH, PARK KB, MANGANO FG. (2018). The Modified Socket Shield Technique. Journal of Craniofacial Surgery, 29, 2247-2254. doi: 10.1097/ SCS.0000000000004494.

3. CHEN ST, BUSER D. (2014). Esthetic outcomes following immediate and early implant placement in the anterior maxilla a systematic review. The International journal of oral & maxillofacial implants, 29 Suppl, 186–215.

4. CASEY DM, LAUCIELLO FR. A review of the submergedroot concept. J Prosthet Dent. 1980; 43 (2): 128- 132.

5. HURZELER MB, ZUHR O, SCHUPBACH P, REBELE SF, EMMANOUILIDIS N, FICKL S. The socketshield technique: a proof-of-principle report. J Clin Periodontol. 2010; 37 (9): 855- 862.

6. GLUCKMAN H, SALAMA M, DU TOIT J. A retrospective evaluation of 128 socket-shield cases in the esthetic zone and posterior sites: partial extraction therapy with up to 4 year s follow-up. Clin Implant Dent Relat Res. 2018; 20 (2): 122- 129. https://doi.org/10.1111/cid.12554.

7. GLUCKMAN H, NAGY K, DU TOIT J. Prosthetic management of implants placed with the socket-shield technique. J Prosthet Dent. 2019; 121 (4): 581- 585. https://doi.org/10.1016/j.prosdent.2018.06.009.

8. SIORMPAS KD, MITSIAS ME, KOTSAKIS GA, TAWIL I, PIKOS MA, MANGANO FG. (2018). The Root Membrane Technique: A Retrospective Clinical Study

With Up to 10 Years of Follow-Up. Implant Dentistry, 27, 564-574. doi: 10.1097/ID.0000000000000818.
Gaceta Dental · N o 358 | Junio/Julio 2023 ESPECIAL IMPLANTES. Caso clínico 114

FORMACIÓN DE POSGRADO ODONTOLOGÍA UNIVERSIDAD REY JUAN CARLOS

FORMACIÓN DE POSGRADO ODONTOLOGÍA UNIVERSIDAD REY JUAN CARLOS

CURSO 2023/2024

2023/2024

APRENDIZAJE

NOMBRE CRÉDITOS Nº CURSOSPLAZASPRECIO/CURSOINICIO
Permanente
Máster de Formación Permanente en Prótesis sobre Implantes Máster de Formación Permanente
Odontología Restauradora Estética y Endodoncia Máster de Formación Permanente en Cirugía Bucal e Implantología 192 3 6 15.000€Septiembre 2023 180 3 8 10.000€Octubre 2023 120 2 12 13.750€Septiembre 2023 120 2 8 9.500€Septiembre 2023 60 1 18 8.990€Septiembre 2023 120 2 10 8.500€Septiembre 2023 120 2 12 11.000€Septiembre 2023
Máster de Formación Permanente en Ortodoncia y Ortopedia Dentofacial Máster de Formación Permanente en Periodoncia y Osteointegración Máster de Formación Permanente en Implantología Avanzada, Regeneración tisular y Rehabilitación Implantosoportada Máster de Formación
en Endodoncia Microscópica y Cirugía Apical
en
PRÁCTICO DOCENTES DE PRESTIGIO TECNOLOGÍA DE VANGUARDIA GRUPOS REDUCIDOS AMPLIA OFERTA FORMATIVA MÁS INFORMACIÓN NOMBRE CRÉDITOS Nº CURSOSPLAZASPRECIO/CURSOINICIO Máster de Formación Permanente en Ortodoncia y Ortopedia Dentofacial Máster de Formación Permanente en Periodoncia y Osteointegración Máster de Formación Permanente en Implantología Avanzada, Regeneración tisular y Rehabilitación Implantosoportada Máster de Formación Permanente en Endodoncia Microscópica y Cirugía Apical Máster de Formación Permanente en Prótesis sobre Implantes Máster de Formación Permanente en Odontología Restauradora Estética y Endodoncia Máster de Formación Permanente en Cirugía Bucal e Implantología 192 3 6 15.000€Septiembre 2023 180 3 8 10.000€Octubre 2023 120 2 12 13.750€Septiembre 2023 120 2 8 9.500€Septiembre 2023 60 1 18 8.990€Septiembre 2023 120 2 10 8.500€Septiembre 2023 120 2 12 11.000€Septiembre 2023
APRENDIZAJE PRÁCTICO DOCENTES DE PRESTIGIO TECNOLOGÍA DE VANGUARDIA GRUPOS REDUCIDOS AMPLIA OFERTA FORMATIVA
CURSO
MÁS INFORMACIÓN

DIANA BRAVO

ÓpticoOptometrista, Universidad Complutense. Máster en Optometría Clínica por el Centro de Optometría Internacional (COI). Máster en Rehabilitación Visual, Universidad de Valladolid.

César Castaño Fisioterapeuta del primer equipo del Real Sporting de Gijón. Director del Centro de Fisioterapia FISi-U. Profesor adjunto de la Universidad Gimbernat Cantabria.Visual, Universidad de Valladolid.

Magnificación y ergonomía en Odontología: un enfoque multidisciplinar

La práctica odontológica es muy exigente a nivel visual y postural. Un campo de trabajo reducido, con áreas profundas y oscuras, procedimientos que requieren gran precisión y un continuo proceso de toma de decisiones clínicas, tanto en el diagnóstico como en el tratamiento, son los principales factores que influyen en la ergonomía en Odontología

Estos factores contribuyen a que los clínicos adopten posturas inadecuadas y forzadas que pueden ocasionar trastornos musculoesqueléticos (TME) con las consecuencias que supone para su salud. Otra consecuencia de esas condiciones vinculadas al trabajo odontológico es la fuerte demanda visual por lo minucioso del trabajo en la cavidad oral y el trabajar a distancias de enfoque muy próximas, lo que puede ocasionar molestias oculares a estos profesionales. Sistema visual y su relación con la práctica odontológica

Hoy en día, nuestro mundo es cada vez más visual. Captamos una gran información de nuestro alrededor

gracias al sentido de la vista y eso nos permite realizar infinidad de actividades de nuestra vida diaria. De hecho, el 80% de la información que recibimos de nuestro entorno, nos llega a través de nuestros ojos. Para el profesional de la Odontología, ver bien es fundamental, ya que sus decisiones diagnósticas y de tratamiento se basarán, en gran parte, en la información visual que reciban. La manera en la que vemos las cosas forma parte de un proceso complejo donde se producen una serie de etapas en el ojo y el cerebro. Todo este proceso es muy fácil de entender si comparamos el funcionamiento del ojo con una cámara de fotos (Figura 1) :

1. La luz se enfoca en la córnea, la cual actúa como el lente de una cámara.

2. El iris funciona como el diafragma, controlando la cantidad de luz que llega a la parte posterior del ojo, ajustando automáticamente el tamaño pupilar.

3. El cristalino está ubicado detrás de la pupila y enfoca la luz. A través de un proceso llamado acomodación, esta lente ayuda a que el ojo se enfoque de forma dinámica en una distancia de cerca, como la lente de

Ciencia y clínica
Gaceta Dental · N o 358 | Junio/Julio 2023 CIENCIA Y CLÍNICA. Ciencia 116

autoenfoque de una cámara. A mayor edad menos capacidad de acomodar.

4. La luz, que es enfocada en la córnea y el cristalino y limitada por el iris y la pupila, llega a la retina la cual actúa como el sensor de imagen de una cámara.

5. Por último, el nervio óptico transmite estas señales a la corteza visual.

Uno de los elementos que más influye en la práctica odontológica es el mecanismo de la acomodación. Todas las actividades de visión próxima exigen un enfoque de la lente cristalino de forma continuada, produciendo síntomas de fatiga visual que se ven acentuados al acercarnos a edades donde la presbicia hace que se genere mayor dificultad para una visión en detalle nítida.

La presbicia (también conocida como vista cansada) es, por tanto, la pérdida de la capacidad de enfocar objetos cercanos, lo que supone la necesidad de usar lentes para compensar el déficit acomodativo, siendo un proceso fisiológico que ocurre entre los 40 y 60 años.

Podemos afirmar que la agudeza visual de cerca varía de un individuo a otro y disminuye con la edad. Independientemente de la edad o de la visión natural, la agudeza visual puede mejorar significativamente utilizando dispositivos de aumento, como lupas o microscopio (1).

En la práctica clínica está demostrado que existen asociaciones entre el trabajo y los síntomas de cansancio ocular (astenopia), trastornos del poder de enfoque (acomodación) y el balance muscular de los ojos (la foria y el poder de la convergencia). Todos estos factores son la causa fundamental del Síndrome de Fatiga Ocular, denominado también Fatiga Visual,

«Trabajar a distancias muy próximas del área de trabajo supone someter a nuestro sistema visual a una situación de esfuerzo constante»
Gaceta Dental · N o 358 | Junio/Julio 2023 Ciencia. CIENCIA Y CLÍNICA 117
Figura 1. Esquema función visual.

reconocida por la Organización Internacional del Trabajo dentro del grupo de enfermedades laborales. Se engloban una serie de síntomas que van desde las molestias oculares (picor, ardor, sequedad ocular), trastornos visuales (visión borrosa y doble) además de síntomas extraoculares (cefalea y vértigo) (2). Medidas preventivas de higiene visual Tal y como se ha señalado, trabajar a distancias muy próximas del área de trabajo, en este caso muy cercanas a la boca del paciente, supone someter a nuestro sistema visual a una situación de esfuerzo constante.

Es necesario establecer una serie de medidas preventivas para favorecer una visión natural y relajada. Como primera medida a adoptar será la de conseguir una postura segura, entre los 35 cm y los 50 cm. La distancia recomendada estará marcada por parámetros individuales como, por ejemplo, la altura de cada persona.

Las medidas de higiene visual que específicamente pueden aplicarse a los profesionales de la Odontología son:

1. Iluminación. Se recomienda trabajar en una zona con una buena iluminación ambiental, además de utilizar iluminación específica para aumentar el contraste y la resolución del área de tratamiento. Los sistemas más adecuados son las luces LED coaxiales al eje de visión con temperatura de color natural.

2. Postura adecuada. Mantener una distancia de trabajo adecuada es fundamental para evitar la fatiga visual y sus síntomas asociados.

3. Regla del 20. Cada 20 minutos relajar la vista mirando un objeto lejano durante 20 segundos. Con este hábito conseguiremos disminuir la tensión sobre nuestro sistema acomodativo.

4. Parpadear. La alta concentración del trabajo dental hace que se disminuya la frecuencia del parpadeo aumentando la incidencia del síndrome de ojo seco. Parpadear con frecuencia y el uso de lágrimas artificiales ayudará a mantener el confort visual.

5. Revisiones periódicas. Es importante acudir de forma bianual a revisar la visión, para detectar cambios en la graduación y posibles patologías oculares. En caso de diabetes, hipertensión, antecedentes familiares de ceguera, alta miopía y otras patologías asociadas, se recomienda hacerlo de forma anual. Lupas y microscopios, los aliados en la ergonomía en Odontología

En la última década el uso de magnificación, tanto con lupas como con microscopio, ha experimentado una evolución muy importante. Se está generando un interés creciente desde las primeras

Gaceta Dental · N o 358 | Junio/Julio 2023 CIENCIA Y CLÍNICA. Ciencia 118
«Las lupas Ergo de Víttrea permiten aunar aumentos altos, peso muy ligero, postura ideal y beneficios visuales para ofrecer ayudas ópticas realmente efectivas y personalizadas para cada especialidad dental y quirúrgica»

etapas formativas y una notable publicación de investigaciones que vienen a demostrar los beneficios de introducir magnificación desde los inicios de la actividad profesional odontológica, considerándola como una herramienta indispensable (3-6).

No todas las lupas quirúrgicas y dentales del mercado satisfacen los criterios de ergonomía postural y visual óptimos para los clínicos (7). Es fundamental que las lupas sean adaptadas de forma individual para cada profesional, seleccionando el tipo de sistema óptico (Galileo, Kepler o Ergo), medidas optométricas y distancia de trabajo totalmente personalizada para cada usuario.

La tendencia de los sistemas ópticos actuales avanza hacia sistemas totalmente personalizados TTL (Through-The-Lens), en decremento de los sistemas Flip-Up (abatibles y de distancia interpupilar ajustable).

Según publicaciones científicas, los odontólogos más jóvenes se benefician más de los aspectos ergonómicos, mientras que los mayores de 40 años pueden compensar sus deficiencias visuales relacionadas con la edad al utilizar lupas. Las lupas tipo Kepler, con su construcción óptica superior, mejoran el rendimiento visual de los odontólogos de todos los grupos de edad. Las ventajas ópticas se producen a costa de limitaciones ergonómicas debidas al peso de estas lupas (7). Es, por tanto, el peso un factor fundamental a considerar en los beneficios que proporcionan las lupas, como también lo es la postura que permitan adoptar. Posturas neutras de cabeza, evitando inclinaciones del cuello y curvaturas en la espalda serán las más cercanas a la situación ergonómica ideal.

Basándose en esas necesidades, hace tres años se lanzaron al mercado las lupas Ergo de Víttrea, las primeras del mercado español totalmente ergonómicas. Estas lupas han supuesto una innovación en la forma de trabajar de muchos profesionales y han permitido combinar el concepto de máxima ergonomía postural y visual, con aumentos muy superiores a Galileo. Actualmente la gama de aumentos de las lupas Ergo comprenden un rango de 3X a 10X, consiguiendo sistemas muy ligeros. Con el aumento máximo de 10X la lupa sólo pesa 53 gramos, con montura incluida.

Las lupas Ergo de Víttrea se caracterizan por un ángulo de declinación de 650, tal y como se muestra en la Figura 2. Su gran flexibilidad de ángulo y su bajo peso compensan la inclinación de la cabeza y reducen la carga en la columna cervical durante largas horas de trabajo.

En la Figura 3 se muestran diferentes posiciones de trabajo y su relación con la inclinación del cuello. En la primera posición se

Gaceta Dental · N o 358 | Junio/Julio 2023 Ciencia. CIENCIA Y CLÍNICA 119
«Los avances en el campo de la magnificación, con la incorporación de nuevos sistemas ópticos tanto en lupas como en microscopios, hacen que cada vez sean más aceptados por los profesionales»

observa la postura neutra con una inclinación del cuello de 0 0 que se consigue únicamente con las lupas Ergo. En la práctica, la posición más común se encuentra entre la segunda y tercera imagen, e incluso puede llegar a producirse una inclinación del cuello de 450 si no se utilizan lupas. Es importante conocer que en posiciones de pie y sentado, el peso promedio de la cabeza de un adulto es de 4.5-5.4 kg. Sin embargo, estando sentados y con la cabeza

inclinada, la carga en el cuello puede alcanzar hasta 22 kg. Esto puede provocar un desgaste prematuro de los discos intervertebrales.

Las lupas Ergo fomentan el mantenimiento de la cabeza en una posición neutra durante el trabajo clínico. Por tanto, el uso de lupas Ergo facilita a los odontólogos, de manera intuitiva e inconsciente, el mantener la posición ergonómica recomendada.

En cuanto a beneficios visuales, además de los conseguidos por los altos aumentos que proporcionan, las lupas Ergo introducen un concepto muy interesante desde el punto de vista de posición ocular. A diferencia de las lupas TTL convencionales, las lupas Ergo ayudan a dirigir los ojos de manera óptima. Como se ilustra en la Figura 4 , la posición de los ojos cuando se usa Ergo es más natural y permite mantener los ejes visuales paralelos, evitando converger en exceso y simulando posiciones de mirada relajadas, tal y como las que tenemos cuando miramos de lejos, por ejemplo, a un paisaje. Esto aumenta la comodidad y reduce la fatiga ocular al realizar procedimientos quirúrgicos y dentales largos y complejos.

Figura 2. Ángulo de declinación.
Gaceta Dental · N o 358 | Junio/Julio 2023 CIENCIA Y CLÍNICA. Ciencia 120
«Es imprescindible contar con herramientas y estrategias que ayuden a mantener una posición saludable, clave en la prevención de trastornos musculoesqueléticos y visuales»

La importancia de la ergonomía postural en la salud de los profesionales

La profesión odontológica requiere en numerosas ocasiones de posturas estáticas poco naturales y mantenidas durante largos períodos de tiempo. No en vano, las patologías de la columna cervical, columna dorsal o de la columna lumbosacra tienen mayor impacto en la práctica odontológica.

Se ha demostrado que las posturas que ejercen una mayor presión sobre los discos intervertebrales y la hipomovilidad prolongada de la columna vertebral son factores de riesgo importantes que provocan cambios degenerativos en la zona lumbar y la columna cervical. Existe una estrecha relación

entre las contracciones musculares estáticas y la isquemia/necrosis muscular debida a la postura estática.

Está demostrado que los estiramientos disminuyen el dolor musculoesquelético en los profesionales de la odontología, mientras que la falta de ejercicio semanal regular se correlaciona con un aumento del dolor lumbar (9, 10).

La profesora Piancino, catedrática asociada del Departamento de Ciencias Quirúrgicas de la Facultad de Odontología del C.I.R. de la Universidad de TurínItalia, además de ortodoncista en ejercicio, ha publicado numerosos trabajos de investigación sobre el control funcional del sistema neuromuscular, concretamente sobre los movimientos del cráneo

Figura 3. Diferentes posiciones de trabajo según tipo de lupas.
Gaceta Dental · N o 358 | Junio/Julio 2023 Ciencia. CIENCIA Y CLÍNICA 121
Figura 4. Posición de los ojos según tipo de lupas.

y la mandíbula, y su impacto interconectado en todo el organismo. La profesora Piancino ha realizado estudios preliminares para estudiar la posición de trabajo mejorada que ofrecen las lupas Ergo de Víttrea, partiendo de la hipótesis de que podrían reducir significativamente la tensión neuromuscular (11).

Según la Dra. Piancino, los profesionales no suelen ser conscientes del enorme impacto que tienen el equilibrio y la activación muscular simétrica en el confort físico y, por extensión, en la concentración mental y el bienestar general. Los dentistas suelen trabajar en posturas asimétricas durante largos periodos de tiempo, lo que impone a su fisiología exigencias que van en contra del diseño biomecánico del cuerpo.

A corto plazo, la activación muscular asimétrica puede causar dolor e incomodidad. A largo plazo, el resultado puede ser un daño acumulativo como las lesiones por esfuerzo repetitivo (LER) o los trastornos musculoesqueléticos (TME). Dado que los sistemas neurológico y muscular están tan íntimamente conectados, los esfuerzos desequilibrados afectan negativamente no sólo al bienestar físico de los profesionales, sino también a su capacidad para concentrarse y realizar su trabajo. Descubrir que estas lesiones tan comunes podrían evitarse sería muy significativo para los dentistas y otros profesionales de la medicina.

En esta investigación preliminar realizada con estudiantes de odontología y de posgrado, la profesora Piancino comparó la tensión ejercida sobre ocho músculos simétricos de la espalda al trabajar con las lupas Ergo de Víttrea frente a las lupas convencionales TTL. El

uso de las lupas Ergo ilustró una activación más simétrica de los músculos, así como una reducción significativa de los picos musculares y una mitigación de la tensión tanto en la espalda como en el cuello. El uso de las lupas TTL dio lugar a mayores niveles de estrés, con una gran activación muscular (Figura 5)

El cuerpo humano no está diseñado biomecánica, anatómica o fisiológicamente para trabajar muchas horas sentado. La incorporación de la magnificación, además de sillas ergonómicas que permitan mantener una posición correcta, pueden ayudar a los profesionales de la salud bucodental a evitar TME que podrían comprometer la longevidad de su carrera. A continuación, se indican los puntos principales que deben tenerse en cuenta para mantener una correcta postura de trabajo (Figura 6) :

1. Inclinación de la cabeza hacia adelante como máximo hasta 20 0 desde el tronco. Idealmente cuello completamente recto.

Gaceta Dental · N o 358 | Junio/Julio 2023 CIENCIA Y CLÍNICA. Ciencia 122
Figura 5. Diferencias posturales sin lupas y con lupas Ergo.

2. Los hombros paralelos al plano horizontal y la espalda recta, de esta forma se establece un equilibrio perfecto del cuerpo, que queda balanceado entre sus dos mitades.

3. La espalda debe estar lo más recta posible, evitando la forma de C. Esto ayuda a mantener la lordosis fisiológica lumbar y disminuimos la presión sobre los discos vertebrales.

4. Una postura sentada con una ligera inclinación pélvica anterior reduce la incidencia de dolor lumbar.

5. Los codos deben estar bajos, pegados a la parrilla costal, con un buen apoyo que disminuirá la sobrecarga muscular debida a movimientos repetitivos.

6. Los brazos se situarán a lo largo del cuerpo, orientados hacia adelante dentro de los 10 0 con los antebrazos elevados a 250 de la horizontal.

7. Las manos deben situarse a la

altura de la línea media sagital del esternón. A este nivel y a la altura de la punta del esternón, es donde idealmente se colocará el paciente.

8. Muslos prácticamente paralelos al plano de suelo. El ángulo formado por la columna vertebral y el fémur debe ser superior a 100 0. Por debajo de esa cifra se tiende a alterar la lordosis lumbar.

9. Los pies deben colocarse en el suelo orientados hacia adelante. Es fundamental que estén apoyados en el suelo y ligeramente separados, ya que soportan un 25% de la carga del peso del cuerpo.

CONCLUSIONES

La ergonomía en Odontología es un campo de estudio muy amplio, en el que influyen muchos factores. Las posturas de trabajo (tanto del profesional como del paciente), el

Gaceta Dental · N o 358 | Junio/Julio 2023 Ciencia. CIENCIA Y CLÍNICA 123
Figura 6. Puntos principales para mantener una correcta postura de trabajo.

uso correcto de la visión directa e indirecta con espejos, la influencia de los síntomas de fatiga visual y la exigencia de un trabajo que exige una alta concentración y detalle, hace que cada vez sea más necesario incorporar herramientas y técnicas que permitan al profesional cuidar de su salud visual y postural. Los avances en el campo de la magnificación, con la incorporación de nuevos sistemas ópticos tanto en lupas como en microscopios, hacen que cada vez sean más aceptados por los profesionales.

Dentro de las innovaciones más recientes en lupas, destacan las

BIBLIOGRAFÍA

1. EICHENBERGER M, PERRIN P, NEUHAUS KW, BRINGOLF U, LUSSI A. Influence of loupes and age on the near visual acuity of practicing dentists. J Biomed Opt. 2011 Mar; 16 (3): 035003. doi: 10.1117/1.3555190. Erratum in: J Biomed Opt. 2011 Jun; 16 (6): 069802. PMID: 21456864.

2. Síndrome de Fatiga ocular y su relación con el medio laboral. Med. segur. trab. vol.63 no.249 Madrid oct./dic. 2017.

3. BUD M, PRICOPE R, POP RC, ONACA R, SWERTS PJ, LUCACIU O, DELEAN A. Comparative analysis of preclinical dental students’ working postures using dental loupes and dental operating microscope. Eur J Dent Educ. 2021 Aug; 25 (3): 516-523. doi: 10.1111/eje.12627. Epub 2020 Nov 25. PMID: 33180967.

4. WAJNGARTEN D, BOTTA AC, GARCIA PPNS. Magnification loupes in dentistry: A qualitative study of dental students’ perspectives. Eur J Dent Educ. 2021 May; 25 (2): 305-309. doi: 10.1111/eje.12605. Epub 2020 Oct 11. PMID: 32976674.

5. PAZOS JM, REGALO SCH, DE VASCONCELOS P, CAMPOS JADB, GARCIA PPNS. Effect of magnification factor by Galilean loupes on working posture of dental students in simulated clinical procedures: associations between direct and observational measurements. PeerJ. 2022 Mar 10; 10: e13021. doi: 10.7717/peerj.13021. PMID: 35291489; PMCID: PMC8918149.

lupas Ergo de Víttrea que permiten aunar aumentos altos, peso muy ligero, postura ideal y beneficios visuales para ofrecer ayudas ópticas realmente efectivas y personalizadas para cada especialidad dental y quirúrgica.

Una postura ergonómica permitirá atender adecuadamente al paciente sin poner en riesgo la salud de los profesionales de la Odontología. Por ello, es imprescindible contar con herramientas y estrategias que ayuden a mantener una posición saludable, clave en la prevención de trastornos musculoesqueléticos y visuales. ●

6. ALDOSARI MA. Dental Magnification Loupes: An Update of the Evidence. J Contemp Dent Pract. 2021 Mar 1; 22 (3): 310315. PMID: 34210934.

7. WEN WM, KANJI Z, LARONDE D, SHARIATI B, RUCKER L. Out of the loupe: The prevalence of coaxial misalignment of surgical loupes among dental professionals. J Am Dent Assoc. 2019 Jan; 150 (1): 49-57. doi: 10.1016/j.adaj.2018.09.022. Epub 2018 Nov 29. PMID: 30503019.

8. PERRIN P, EICHENBERGER M, NEUHAUS KW, LUSSI A. Visual acuity and magnification devices in dentistry. Swiss Dent J. 2016; 126 (3): 222-235. English, German. PMID: 27023468.

9. ROLL SC, TUNG KD, CHANG H, ET AL. Prevention and rehabilitation of musculoskeletal disorders in dental professionals: A systematic review. J Am Dent Assoc. 2019; 150: 489–502.

10. SHARIAT A, CLELAND JA, DANAEE M, KARGARFARD M, SANGELAJI B, TAMRIN SBM. Effects of stretching exercise training and ergonomic modifications on musculoskeletal discomforts of office workers: a randomized controlled trial. Braz J Phys Ther. 2018; 22: 144–153.

11. Preliminary Study Finds Ergonomic Loupes Can Help Reduce Back and Neck Strain for Dental Practitioner. Decision in Dentistry. Online magazine September 2022.

Gaceta Dental · N o 358 | Junio/Julio 2023 CIENCIA Y CLÍNICA. Ciencia 124

LA REVOLUCIÓN POSTURAL

Las primeras lupas del mercado español totalmente ergonómicas

El poder de la magnificación www.vittrea.com hola@vittrea.com ☎ 984 491 808
Lupas Ergo

Di 2 gital al dí 2 a Protocolo Di2gitalArch® 2.0: Carga inmediata en el día en maxilar superior atrófico

Nuestro protocolo para arcada completa se basa en realizar la carga inmediata el mismo día de la cirugía, en un entorno full digital, exclusivamente con el escáner intraoral, usando los protocolos Di2gitalArch.

Se trata de una solución sencilla y rápida para poder realizar un diseño perfecto, transfiriendo la posición del maxilar en el espacio de la oclusión preoperatoria, estética y dimensión vertical del paciente, facilitando enormemente el trabajo al laboratorio dental y, en definitiva, el éxito de nuestro tratamiento.

Contar con un laboratorio experto en protocolos totalmente digitales y, en concreto, en Di2gitalArch es fundamental. Queremos, por tanto, agradecer la labor del laboratorio Dental Full Digital de Madrid por su profesionalidad, capacitación y resolución de los casos clínicos.

El miniimplante Di2gitalArch 2.0 y el scanbody Di2gitalArch 2.0 están diseñados y patentados para esta exclusiva función. El diseño del implante tiene como características fundamentales la de su especial conexión que solo permite

una DDS i2 Implantología Madrid. Dra. Sara Perrone DDS i2 Implantología Madrid. Dra. Cristina Cuadrado Canals DDS i2 Implantología Madrid. Dr. Luis Cuadrado de Vicente MD DDS i2 Implantología Madrid. Roberto Vives TPD Laboratorio «Dental Full Digital» Madrid. Ignacio Montiel TPD Laboratorio «Dental Full Digital» Madrid. DR. LUIS CUADRADO CANALS
DI 2GITAL AL DÍ 2 A. Caso clínico Gaceta Dental · N o 358 | Junio/Julio 2023 126
Con Ziacom Galaxy

posición del scanbody, ser de fácil y rápida colocación, ser mínimamente invasivo y retirable (si así se desea).

CASO CLÍNICO

Presentamos un caso con colocación alternativa del miniimplante Di2gitalArch 2.0, adecuado para casos de escaso volumen óseo en el maxilar superior.

Se trata de una paciente sin antecedentes médicos de interés y que es portadora de una dentadura completa superior desde hace muchos años.

El diagnóstico mediante ortopantomografía y CBCT revela una atrofia media del maxilar superior, existiendo suficiente volumen óseo para la colocación de seis implantes de 15 a 25 mediante técnica de expansión cortical.

Además, se comprueba que en la zona media palatina hay suficiente volumen óseo para la colocación del minimplante Di2gitalArch 2.0. Se elige esta localización para que no interfiera con la regeneración ósea vestibular que se estima necesaria después de la colocación de los implantes.

Realizamos fotografías extra e intraorales y vídeo al paciente y se envían al laboratorio Dental Full Digital.

Antes de iniciar la cirugía realizamos un escaneado modelo de estudio preoperatorio con el escáner intraoral Trios de 3Shape, de la completa superior, maxilar inferior con el removible y oclusión. Se envía al laboratorio.

Para acomodar en la cirugía el miniimplante y scanbody Di2gitalArch 2.0 es necesario hacer espacio en la completa del paciente, en la zona palatina.

Ya en cirugía se coloca el minimplante Di2gitalArch 2.0, usando las fresas del kit Di2gitalArch 2.0

«Nuestro protocolo para arcada completa se basa en realizar la carga inmediata el mismo día de la cirugía, en un entorno full digital, exclusivamente con el escáner intraoral»
Figura 1. Ortopantomografía preoperatoria. 2 A Gaceta Dental · N o 358 | Junio/Julio 2023
Caso clínico. DI 2GITAL AL 127

que llevan un tope para impedir realizar una preparación de mayor profundidad a la establecida. Mediante los aditamentos de inserción se orienta el miniimplante Di2gitalArch 2.0, de tal manera que el slot de estos aditamentos esté colocado a vestibular, la zona que mejor va a leer el escáner intraoral.

Colocamos el scanbody Di2gitalArch 2.0 y se vuelve a escanear el maxilar superior del paciente como modelo de estudio. Se envía, también, al laboratorio.

A continuación, se colocan los implantes Ziacom Galaxy buscando una preparación de los lechos que nos proporcione el necesario torque de inserción y el adecuado ISQ con Osstell. De esta manera, podemos determinar objetivamente qué implantes cumplen con los criterios de carga inmediata y, por tanto, van a soportar la prótesis inmediata provisional. Los implantes que no cumplan esos criterios no deben ser cargados.

Se comienza por los dos implantes distales dando la adecuada inclinación para evitar el seno maxilar y buscando apoyo cortical nasal.

Se realiza un infrafresado y los implantes se colocan con adecuado toque, expandiendo la cortical

vestibular en la zona más crestal y buscando la cortical nasal para una máxima estabilidad.

Una vez colocados los dos implantes distales, se colocan los cuatro implantes anteriores.

La zona vestibular se injerta con biomaterial y hueso del fresado, además de hueso autólogo de la cara anterior de la cortical del seno maxilar y se recubre con membranas reabsorvibles.

Se colocan pilares MU angulados en todos los implantes para paralelizarlos y buscar la mejor orientación de los tornillos de prótesis. Colocamos los scanbodies para MU y suturamos.

Escaneamos ahora el maxilar con todos los scanbodies y el scanbody Di2gitalArch 2.0 y el archivo se envía la laboratorio.

Ambos archivos, del escaneado intraoral, de estudio y postoperatorio, tienen en común el scanbody Di2gitalArch 2.0, permitiendo al laboratorio superponer digitalmente ambos y tener, por tanto, toda la información para poder diseñar la carga inmediata.

El provisional se fresó en TelioCad de Ivoclar y se le conectan las bases de titanio para MU y se caracteriza con Nexco.

Dos horas y media después de finalizada la cirugía, el provisional fijo está listo para ser colocado con absoluta pasividad.

El postoperatorio fue excelente y la evolución perfecta. Esta paciente fué intervenida en abril de 2022 y la prótesis definitiva fue colocada cuatro meses después por su dentista referidor, también con un protocolo totalmente digital.

Agradecer, como siempre, al Laboratorio Dental Full Digital su profesionalidad y magnífica e inmediata labor. ●

DI 2GITAL AL DÍ 2 A. Caso clínico Gaceta Dental · N o 358 | Junio/Julio 2023 128
«Se trata de una solución sencilla y rápida para poder realizar un diseño perfecto, que facilita el trabajo al laboratorio y el éxito de nuestro tratamiento»
ACCEDE A ARTÍCULOS ANTERIORES
Figura 4. Bisturí circular CA para eliminar encía en la zona del i2. Figura 5. Fresa para regularizar hueso en la zona del i2. Figura 6. Fresa opcional Ziacom para iniciar el fresado y aplanar la meseta ósea. Figura 7. Primera fresa i2 2.0, con tope. Figura 8. Segunda fresa y final i2 2.0 con tope. Figura 9. Miniimplante Di2gitalArch. Figura 2. Completa de la paciente. Figura 3. Preparación de la completa para el i2 2.0.
AL DÍ 2 A Gaceta Dental · N o 358 | Junio/Julio 2023 129
Caso clínico. DI 2GITAL Figura 10. Colocación con el CA. Obsérvese la marca longitudinal para la correcta orientación. Figura 11. Miniimplante Di2gitalArch colocado. Figura 12. Scanbody Di2gitalArch colocado y correctamente orientado. Figura 13. Recorte del esaneado de la completa. Figura 14. Escaneado con el elemento Di2gitalArch.
DI 2GITAL AL DÍ 2 A. Caso clínico Gaceta Dental · N o 358 | Junio/Julio 2023 130
Figura 15. Elevación de los colgajos. Figura 16. Elevación de los colgajos. Figura 17. Primera fresa Galaxy Ziacom. Figura 18. Infrafresado progresivo. Figura 19. Implante Galaxy para carga inmediata. Figura 20. Expansión de las corticales al colocar el implante.
Figura 21. Implante distal sector 1 colocado. AL DÍ 2 A Gaceta Dental · N o 358 | Junio/Julio 2023
Caso clínico. DI 2GITAL 131 Figura 22. primera fresa en sector 2. Figura 23. Fresado progresivo sector 2. Figura 24. Fresado progresivo sector 2. Figura 25. Colocación del implante distal sector 2. Figura 26. Expansión del implante distal.
DI 2GITAL AL DÍ 2 A. Caso clínico Gaceta Dental · N o 358 | Junio/Julio 2023 132
Figura 27. Siguiente implante sector 1. Figura 28. Sector 2. Figura 29. Implante intermedio sector 2. Figura 30. Colocación último implante Pilares MU angulados. Figura 31. Scanbodies de MU colocados.
DI 2GITAL AL DÍ 2 A. Caso clínico Gaceta Dental · N o 358 | Junio/Julio 2023 134
Figura 32. Injerto y membranas en zona vestibular. Figura 33. Relleno orden de trabajo en Trios. Figura 34. Escaneado inferior. Figura 35. Escaneado postoperatorio con el scanbody Di2gitalArch. Figura 36. Escaneado definitivo. Figura 37. Prótesis fija inmediata provisional.
Figura 38. Vista oclusal. AL DÍ 2 A Gaceta Dental · N o 358 | Junio/Julio 2023
Caso clínico. DI 2GITAL 135 Figura 39. RX postoperatoria. Figura 40. Kit Di2gitalArch 2. Figura 41. Di2gitalArch.
136 DI 2GITAL AL DÍ 2 A. Caso clínico Gaceta Dental · N o 358 | Junio/Julio 2023
¡CONSIGUE EL LIBRO DEL DR. LUIS CUADRADO DE VICENTE EN LA TIENDA GACETA DENTAL!

CARMEN SOLVES TARÍN

La enfermedad periodontal. Factor riesgo de enfermedades sistémicas (y II)

Revisión especial sobre la enfermedad de Alzheimer

Premio Mejor Talento en Higiene Dental GD 2022

Cada vez hay más estudios que relacionan la periodontitis con un mayor riesgo de padecer otras patologías, enfermedades que tienen consecuencias que van más allá de la salud bucodental. Se puede afirmar que la salud oral, y la periodontal en particular, incide en la salud general de las personas.

Se han encontrado mecanismos específicos que intervienen en la patogenia de enfermedades como la artritis reumatoide y el Alzheimer y que parecen tener su origen en la inflamación periodontal, tales como la citrulinación y las proteínas Tau.

En otras patologías como las vasculares y los partos pretérmino, la relación con la periodontitis, consistentemente descrita en numerosos estudios, parece tener su origen en la circulación constante de productos bacterianos y mediadores inflamatorios causada por la inflamación crónica periodontal.

La diabetes, que no se trata en este proyecto, mantiene una relación biunívoca con la enfermedad periodontal.

El desconocimiento de gran parte de la población sobre esta asociación es un hecho que no favorece la prevención de enfermedades como la diabetes, la artritis reumatoide, el Alzheimer, patologías vasculares, etc; a partir del cuidado oral.

Este desconocimiento también tiene relación con el sector sanitario, donde se tratan las patologías clasificándolas por especialidades, muchas veces aisladas entre sí, y donde rara vez se informa a los pacientes acerca de abordar su cuidado y tratamiento desde otros enfoques.

La visita al dentista muchas veces viene motivada por una patología en estado avanzado que está causando molestias, inflamación, dolor…, y no de forma regular, con un papel preventivo que sería el mejor escenario para asegurar un

Higiene dental
Técnico superior en Higiene Bucodental.
HIGIENE DENTAL Gaceta Dental · N o 358 | Junio/Julio 2023 138

mejor estado general de la salud. El presente trabajo es una revisión bibliográfica acerca de estas relaciones. La primera parte de este trabajo se publicó en el número 356 de la revista (acceder a QR), y en esta segunda parte se aportan los resultados de una encuesta sobre los conocimientos de salud oral en la población.

Palabras clave: periodontitis, patologías sistémicas, diabetes, artritis reumatoide, enfermedad de Alzheimer, higiene bucodental, patología vascular.

• Enfermedad de Alzheimer

La Organización Mundial de la Salud define la enfermedad de Alzheimer (EA) como una enfermedad neurodegenerativa de etiología desconocida caracterizada por un deterioro progresivo e irreversible de la memoria y la función cognitiva.

-Epidemiología

La esperanza de vida en 1900 en España era de apenas 35 años, mientras que, en la actualidad, supera los 80 años de edad. Este incremento ha provocado la aparición de nuevas enfermedades propias del envejecimiento, cuya prevalencia, a su vez, ha experimentado un espectacular crecimiento. El caso probablemente más paradigmático es la enfermedad de Alzheimer, siendo la primera causa de demencia neurodegenerativa en el mundo. En España se estima que la prevalencia de enfermedad de Alzheimer se sitúa entre el 4-9%. Según datos del Ministerio de Sanidad, hay unos 800.000 casos diagnosticados actualmente y según datos de la SEN (Sociedad Española de Neurología), cada año se

«En los últimos años se han ido acumulando crecientes evidencias sobre la vinculación entre salud periodontal y el riesgo de desarrollar Alzheimer»
HIGIENE DENTAL Gaceta Dental · N o 358 | Junio/Julio 2023 139
Shutterstock/Mish.El.

diagnostican 40.000 nuevos casos, suponiendo un problema sanitario de primer orden.

-Clínica

Actualmente, sabemos que las alteraciones cerebrales propias de la enfermedad de Alzheimer comienzan años antes de que aparezcan los primeros síntomas. Los enfermos de Alzheimer van perdiendo sus recuerdos y su identidad hasta no reconocer la realidad que los envuelve. La enfermedad dura entre 7 y 15 años desde el diagnóstico. Durante este tiempo, la afectación y dependencia del enfermo son cada vez mayores (1). Por ello, se pueden distinguir tres fases:

-La fase preclínica, en la que, aunque existan quejas cognitivas subjetivas, el rendimiento neuropsicológico en las pruebas es normal.

-La fase prodrómica, en la que los pacientes presentan síntomas cognitivos y fallos objetivables en la exploración sin repercusión sobre las actividades de la vida diaria.

-La fase de demencia, en la que el deterioro cognitivo ya afecta a la funcionalidad del paciente (2).

Los síntomas más habituales son: deterioro cognitivo, desorientación temporo-espacial, dificultad para expresarse y dificultad para realizar actividades de la vida cotidiana.

-Etiología

Aunque es de etiología desconocida, lo que sí sabemos es que es una enfermedad neuroinflamatoria con muchos factores de riesgo. Los principales son la edad y la genética, como explican desde la Fundación Pasqual Maragall, y éstos son los factores no modificables.

Aunque la edad es el principal factor de riesgo para padecer Alzheimer, no es una consecuencia inevitable del hecho de envejecer.

Por otra parte, respecto a la genética, es importante saber, según explican desde la Fundación Pasqual Maragall, que el Alzheimer tampoco es una enfermedad hereditaria, ya que menos de un 1% de casos de Alzheimer se pueden atribuir de forma exclusiva a la genética. Se trata, pues, de una proporción muy pequeña. Es una variante de la enfermedad que se llama enfermedad de Alzheimer genéticamente determinada y que, normalmente, esta forma se caracteriza por la presencia de tres o más casos en dos generaciones familiares consecutivas y diagnosticados antes de los 60-65 años de edad (1).

En el resto de casos, un 99%, hay ciertos genes que pueden conferir una mayor vulnerabilidad para desarrollar la enfermedad, pero en sí mismos no son determinantes (1). Este efecto genético, de hecho, está influido y modulado por otros elementos:

Los factores de riesgo modificables, es decir, en los que sí podemos influir, son: hipertensión, obesidad, tabaquismo, depresión, diabetes, bajo nivel educativo y factores ambientales, entre otros. Se estima en un tercio de los casos diagnosticados, los que son atribuibles a factores modificables (3).

HIGIENE DENTAL Gaceta Dental · N o 358 | Junio/Julio 2023 140
«El deterioro cognitivo de la enfermedad de Alzheimer limita los hábitos de higiene oral»

MÁXIMA EFICACIA Y SEGURIDAD EN BIOMATERIALES

EXCELENTE RELACIÓN CALIDAD/PRECIO

Hueso 100% natural

Fácil aplicación

Rápida regeneración ósea

Excelente osteoconductividad

Alta humectabilidad

UNA MANERA FÁCIL DE PROTEGER

Colágeno equino Tipo I

Reabsorbible en 10 a 12 semanas

Fácil manejo

Seguro y biocompatible

Consell de Cent 111 Ppal. 2ª 08015, Barcelona- Spain T. +34 93 419 29 68 / info@technologyinbiomaterials.com www.technologyinbiomaterials.com
Hueso esponjoso bovino

La fisiopatología de la enfermedad de Alzheimer se desconoce, pero sus dos características más estudiadas son: las placas amiloides y los ovillos neurofibrilares

Por un lado, las placas amiloides son depósitos de proteínas betaamiloide en forma de placas en diferentes áreas del sistema nervioso central, incluyendo el hipocampo, que conduce a la pérdida progresiva de memoria y otras funcionalidades cognitivas.

Por otro lado, los ovillos neurofibrilares son estructuras en el interior de las neuronas, provocadas por un acúmulo anormal de fibrillas entrelazadas procedentes de la fosforilación de la proteína Tau en los microtúbulos celulares. La función de la proteína Tau, en condiciones normales, es hacer posible el transporte de nutrientes y desechos de las neuronas.

Estas dos estructuras anormales son el sello distintivo de la enfermedad y conducen a la degeneración neuronal, origen de los síntomas clínicos de la enfermedad de Alzheimer.

-Tratamiento

En la actualidad no disponemos de fármacos modificadores eficaces de la enfermedad para reducir su gravedad y restablecer la función cognitiva.

Los tratamientos farmacológicos existentes no modifican el curso de la enfermedad, sirven para paliar y disminuir la intensidad de los síntomas durante la fase leve-moderada, y proporcionar a los pacientes y sus familiares mejor calidad de vida. Su efectividad disminuye a medida que avanza la enfermedad (1).

La terapia farmacológica prescrita para mitigar los síntomas del

Alzheimer son:

-Inhibidores de la acetilcolinesterasa: retrasan la degradación de la acetilcolina, neurotransmisor implicado en procesos de memoria y aprendizaje. Donepezilo, rivastigmina y galantamina.

-Memantina: se prescribe en fases más avanzadas y su acción está relacionada con otro neurotransmisor, el glutamato.

-Fármacos para el control de alteraciones conductuales como la depresión, ansiedad, agitación, agresividad, delirios o problemas de sueño.

La terapia no farmacológica, como programas de estimulación, se realiza cuando la enfermedad no está muy avanzada y es muy importante para potenciar capacidades cognitivas conservadas y compensar las afectadas.

Para la prevención activa, una de las alternativas más eficaces es la intervención sobre los factores de riesgo modificables, que incluyen estilos de vida como el hábito de fumar, el ejercicio físico, la educación, el compromiso social, el estímulo cognoscitivo, la dieta y, en la parte

ACCEDE A LA PRIMERA PARTE DEL ARTÍCULO HIGIENE DENTAL Gaceta Dental · N o 358 | Junio/Julio 2023 142
«Las infecciones crónicas de bajo nivel como la periodontitis pueden permanecer activas durante décadas sin ningún grado de dolor o pirexia apreciables»

que compete a este trabajo, está la buena higiene oral como pilar en la prevención (1).

Periodontitis y enfermedad de Alzheimer

La posible asociación entre periodontitis y enfermedad de Alzheimer es bidireccional. Por una parte, el deterioro cognitivo de la enfermedad limita los hábitos de higiene oral, provocando en muchos casos patología periodontal; y, por otra, el proceso inmuno-inflamatorio crónico y la inflamación sistémica secundaria a la periodontitis podría inducir los fenómenos neuroinflamatorios que favorecen la enfermedad de Alzheimer, como explican desde la Asociación Española de Periodoncia (SEPA).

Lo cierto es que, en los últimos años, se han ido acumulando crecientes evidencias sobre esta vinculación entre salud periodontal y el riesgo de desarrollar EA. Muchos estudios apuntan la hipótesis de la etiología infecciosa, postulando que los posibles agentes causales actuarían provocando neuroinflamación y, más tarde, deterioro cognitivo.

Pero, si suponemos que uno de los posibles desencadenantes de la inflamación crónica son las bacterias, entonces, ¿de dónde proceden?

Las infecciones pueden tener lugar en cualquier parte del organismo, produciendo, primero, una infección aguda; después, crónica; y, por último, inflamación. El resultado suele ser generación de calor y dolor, alertando al hospedador del lugar de la infección. La boca es un sitio privilegiado en términos de respuesta inmunitaria (Novak et al. 2008). A pesar de que en la cavidad oral hay un gran número y diversidad de bacterias y que la boca está

constantemente en contacto con alérgenos, no se produce el número de episodios inflamatorios esperados, lo que ha hecho sugerir a algunos autores que la boca es un sitio inmunitariamente tolerante (Novak et al. 2008).

En la práctica, esto redunda en que las infecciones crónicas de bajo nivel como la periodontitis pueden permanecer activas durante décadas sin ningún grado de dolor o pirexia apreciables. Por lo tanto, sostenemos que la periodontitis es un impulsor ideal de la inflamación en el cerebro capaz de provocar una secreción de citoquinas al torrente sanguíneo y, además, se sitúa lo suficientemente próxima al bulbo y conducto olfatorios como para permitir el paso directo al parénquima cortical (4).

Un estudio publicado en la revista Science Advanced, realizado por microbiólogos, detectó un patógeno propio de las periodontitis crónica, la bacteria Porphyromonas Gingivalis, en el cerebro de pacientes con Alzheimer. En el mismo estudio se apunta que el 100% de los pacientes con enfermedad cardiovascular tenían colonización arterial por P.G. (5).

P. gingivalis se encuentra principalmente durante infecciones

HIGIENE DENTAL Gaceta Dental · N o 358 | Junio/Julio 2023 143
«La periodontitis es un impulsor ideal de la inflamación en el cerebro capaz de provocar una secreción de citoquinas al torrente sanguíneo»

gingivales y periodontales. Es un patógeno anaerobio gramnegativo asacarolítico, es decir, no fermentador y su metabolismo produce subproductos citotóxicos que son las gingipainas (6).

En el estudio de Dominy et al. se observó una carga significativa de gingipaínas, factor de virulencia principal de P. gingivalis, en el tejido cerebral de personas con enfermedad de Alzheimer.

Las gingipainas desempeñan un papel clave para la supervivencia y patogenicidad de P. gingivalis, participando en la colonización e inactivación del sistema inmunitario del huésped y en la manipulación de la respuesta inflamatoria, la adquisición de nutrientes y la destrucción de tejidos periodontales (3, 7), invasión y diseminación a otros sitios sistémicos, lo que conduce al fracaso para eliminar a P. gingivalis (3, 7).

En el mismo estudio de Dominy et al. se llevaron a cabo experimentos con ratones a los que se provocó infección oral con Porphyromonas G, que condujeron a que la bacteria llegase al cerebro y produjera la

proteína que se asocia al Alzheimer, la beta amiloide. Se encontró también carga significativa de proteína Tau. La hipótesis de que Tau es un objetivo de la proteólisis de gingipaínas, nos sugiere que la patología de Tau que se observa en cerebros con enfermedad de Alzheimer puede deberse a la diseminación transneuronal de P. gingivalis (7). De esta manera, se sostiene que la proteólisis de Tau, por las gingipaínas, aumentaría la tasa de producción de Tau de manera compensatoria para así poder mantener la homeostasis en las neuronas que están infectadas por P. gingivalis (7). Gracias a este estudio se encontró una correlación altamente significativa entre la carga de gingipaínas y la de Tau (3).

Además, se ha demostrado que las gingipaínas medían la toxicidad de P. gingivalis en células endoteliales, fibroblastos y células epiteliales (3, 7).

RESULTADOS DE LA ENCUESTA (GRÁFICOS 1-16)

La información de esta encuesta se obtuvo a través un formulario

Gráfico 1. 144 HIGIENE DENTAL Gaceta Dental · N o 358 | Junio/Julio 2023

Take FIVE

to match them all!

Admira Fusion 5 – Simplemente más rápido. Simplemente estético.

Cubra los 16 colores VITA® con sólo 5 Cluster Shades

• Universal: para las más altas exigencias en dientes anteriores y posteriores

• Rápido: una fotopolimerización de sólo 10 segundos para todos los colores

• Excelentemente biocompatible: ningunos monómeros clásicos

• De primera clase: con diferencia, la más baja contracción (1,25 % en vol.)

VOCO GmbH · Anton-Flettner-Straße 1-3 · 27472 Cuxhaven · Alemania · Línea gratuita 00800 44 444 555 · www.voco.dental B I O COMP A T I B I L IDAD E X C E L ENTE SIN MONÓMEROS CLÁSICOS
Gráficos 2-4. HIGIENE DENTAL Gaceta Dental · N o 358 | Junio/Julio 2023 146
Gráficos 5-7. HIGIENE DENTAL Gaceta Dental · N o 358 | Junio/Julio 2023 148
Gráficos 8-10. HIGIENE DENTAL Gaceta Dental · N o 358 | Junio/Julio 2023 149
Gráficos 11-13. HIGIENE DENTAL Gaceta Dental · N o 358 | Junio/Julio 2023 150
HIGIENE DENTAL Gaceta Dental · N o 358 | Junio/Julio 2023 151
Gráficos 14-16.

de Google con 16 preguntas. Fue difundido por medio de la aplicación WhatsApp y la cumplimentaron 168 personas aleatoriamente.

Las tres primeras preguntas están relacionadas con la información personal como la edad, el sexo y nivel de estudios, útiles para analizar la información por segmentos. Las ocho siguientes son específicas sobre hábitos de higiene oral, el uso de los servicios odontológicos y la percepción que tenían los encuestados acerca de su salud oral.

Se incluyen cinco preguntas para observar si los encuestados encuentran relación entre algunas de las patologías nombradas y la cavidad oral.

La gran mayoría de los encuestados, el 62,5%, son adultos mayores de 35 años y, en gran parte, mujeres; casi el 80% frente al 20% de hombres. Respecto a la formación, se observa un porcentaje muy alto: 76,8% con estudios superiores.

La frecuencia con la que asiste al odontólogo la mayoría de los encuestados es anual, casi el 70%, y la razón principal es la revisión y/o limpieza oral.

Aunque más de la mitad, el 62,5%, comprende que el sangrado de encías no es normal, resulta significativa la cifra de 37,5%, que entiende que sí que es normal y que no es señal de patología.

En las preguntas sobre hábitos de higiene, la mayoría de los participantes tiene una información y costumbres correctas con respecto a lo más básico: frecuencia de cepillado, renovar el cepillo y también la periodicidad de revisiones odontológicas.

Sin embargo, contrasta la limpieza interdental, que no parece ser tan conocida. Diariamente solo lo

practica un 27,4% y un tercio asegura no hacerlo nunca.

Por otra parte, la percepción de la propia salud oral es buena o excelente en más del 70% de los participantes, siendo regular para el 25% y mala para un 6%.

Del total de los participantes, solo 29 de ellos han contestado que han sido diagnosticados con alguna de las enfermedades nombradas y, de ellos, solo a 4 personas les ha recomendado el médico especialista en su patología que acuda al odontólogo.

La última parte de la encuesta va orientada a valorar el conocimiento que puede tener una persona acerca de la relación de la mala higiene y pobre salud oral con respecto a enfermedades sistémicas.

En la pregunta «¿Cree que la enfermedad de las encías está relacionada con alguna de las siguientes enfermedades?», las opciones de respuesta son: artritis reumatoide, Alzheimer, problemas cardiovasculares, diabetes y ninguna de las anteriores, pudiendo señalar más de una. Es muy significativo que 87 personas de las 168 encuestadas, el 52% del total, han contestado que ninguna de las enfermedades tiene relación; y 10 personas, el 6%, dicen desconocer si existe.

Sobre la asociación de periodontitis y un posible parto prematuro, solo el 15% tiene

HIGIENE DENTAL Gaceta Dental · N o 358 | Junio/Julio 2023 152
«La frecuencia con la que asiste al odontólogo la mayoría de los encuestados es anual»

conocimiento de ello, y el 85% desconoce el vínculo. Preguntados por la influencia con el rendimiento deportivo, la proporción aumenta hasta el 29,8%, siendo una cifra relativamente baja también.

CONCLUSIONES

La revisión bibliográfica de los diferentes estudios nos lleva a las siguientes conclusiones:

La bacteriemia, la endotoxinemia y la inflamación sistémica de bajo grado son los principales vínculos entre la periodontitis y las enfermedades sistémicas.

Los últimos trabajos sobre la periodontitis y la enfermedad de Alzheimer han dejado muchas más evidencias que explican la relación que existe entre la presencia de Porphyromona gingivalis, las gingipainas y la patogénesis de la enfermedad que conduce al daño tisular en los cerebros de los pacientes. Estos hallazgos servirán para diseñar nuevos tratamientos basados en inhibidores de las gingipainas, que se han experimentado ya en cerebros de ratones con éxito y están a la espera de nuevas fases de estudio.

La artritis reumatoide no tiene un solo factor como origen de la enfermedad, pero se ha reconocido la evidencia de que la periodontitis es uno de ellos. La inflamación en las encías por la presencia de porphyromonas gingivalis desencadena el proceso de citrulinación de proteínas que provoca, en la mayoría de casos, la creación de anticuerpos en algunos pacientes que afectan a las articulaciones, dando lugar a la artritis reumatoide.

La Porphyromonas gingivalis es nuevamente el patógeno periodontal implicado en la patogénesis de aterosclerosis, que tiene como consecuencia enfermedades cardiovasculares y cerebrovasculares. En este caso no se han identificado, de momento, mecanismos patogénicos concretos como son la citrulinación en la artritis reumatoide o la acción de las gingipaínas en la enfermedad de Alzheimer. Parece ser que en estas enfermedades es la circulación constante de productos bacterianos y los consecuentes mediadores inflamatorios la explicación de la relación entre ellas y la periodontitis.

Debido a la naturaleza multifactorial de ambas enfermedades, con factores de riesgo comunes, es difícil determinar una asociación causal por medio de estudios epidemiológicos. Los estudios in vitro, en animales, y clínicos, apoyan la interacción y el mecanismo biológico, pero los ensayos de intervención no son adecuados para sacar conclusiones adicionales.

El nivel de evidencia es muy alto para la asociación entre periodontitis y una mayor frecuencia de partos prematuros, nuevamente a través de las dos vías mencionadas: la

HIGIENE DENTAL Gaceta Dental · N o 358 | Junio/Julio 2023 153
«La bacteriemia, la endotoxinemia y la inflamación sistémica de bajo grado son los principales vínculos entre la periodontitis y las enfermedades sistémicas»

colonización bacteriana del líquido amniótico debida a bacteriemia y la respuesta inflamatoria provocada por la circulación de mediadores inflamatorios en respuesta a la presencia de productos bacterianos.

No obstante, hay que tener en cuenta que es inconsistente establecer como agente causal único de estas enfermedades a la periodontitis, ya que se tendrían que hacer más estudios epidemiológicos longitudinales que establezcan una relación temporal.

Lo que sí es seguro es que la salud general no se puede desligar de la salud oral y el papel del higienista dental en este campo es fundamental, ya que con una correcta higiene dental y la eliminación de factores de riesgo como el consumo de tabaco, se puede ayudar a reducir la formación

BIBLIOGRAFÍA

1. La enfermedad de Alzheimer. Fundación Pasqual Maragall [Internet]. FPM - ES.

2. Enfermedad de Alzheimer: síntomas, diagnóstico y tratamiento. CUN [Internet]. www.cun.es

3. PÉREZ AHIJÓN C, PLA ALONSO J. Porphyromonas gingivalis como posible agente causal de la enfermedad de Alzheimer. Revisión de literatura. Universidad Complutense. Facultad de Farmacia [Trabajo fin grado]; 2019. [Citado el 22 de mayo de 2022].

4. WEST N, SHOEMARK D, DAVIES M, ALLEN BIRT S. Relación entre enfermedad periodontal y enfermedad de Alzheimer: ¿El cepillado de los dientes puede influir en la enfermedad de Alzheimer? Periodoncia Clínica. 2017; May 23; 2017 (8): 6376.

de bolsas periodontales y evitar la proliferación de las bacterias causantes de todos los procesos que causan las enfermedades sistémicas.

La encuesta refleja el desconocimiento de la población general sobre esta relación, con lo que también aquí tiene un gran papel el higienista dental y otros profesionales de la salud. ●

5. DOMINY SS, LYNCH C, ERMINI F, ET AL. Porphyromonas gingivalis in Alzheimer’s disease brains: Evidence for disease causation and treatment with small-molecule inhibitors. Sci Adv. 2019; 5 (1): eaau3333. Published 2019 Jan 23. doi:10.1126/ sciadv.aau3333.

6. VACA ALTAMIRANO G, MANZANO FLORES AB, ARMIJOS BRIONES FM. Porphyromona gingivalis y su relación con la enfermedad de Alzheimer. Universidad y Sociedad [Internet]. 29 de septiembre de 2021. [Citado el 22 de mayo de 2022]; 13 (S2): 109-16.

7. RODRÍGUEZ LOZANO B, GONZÁLEZ FEBLES J,

18; 21 (1).

GARNIER RODRÍGUEZ JL, DADLANI S, BUSTABAD REYES S, SANZ M, ET AL. Association between severity of periodontitis and clinical activity in rheumatoid arthritis patients: a case–control study. Arthritis Research & Therapy [Internet]. 2019 Jan
154 HIGIENE DENTAL Gaceta Dental · N o 358 | Junio/Julio 2023
«El nivel de evidencia es muy alto para la asociación entre periodontitis y una mayor frecuencia de partos prematuros»

INICIO: 26 octubre 2023

LUGAR: Madrid-Valencia

DIRECTORES: Dr. Primitivo Roig y Dr. Pepe Jabaloyes

CÁTEDRA: ESDOC - UPV

ESCUELA EMPRESARIAL PARA DOCTORES Y PROFESIONALES DE LA SALUD Alcanza el equilibrio entre la práctica clínica y la gestión www.esdoc.es 961 333 790 info@esdoc.es PLAZAS LIMITADAS
ABIERTA MATRÍCULA

Planificación digital y cirugía guiada para dummies

Cómo confeccionar una guía quirúrgica de un modo predecible Freepik/Wavebreakmedia_micro. Gaceta Dental · N o 358 | Junio/Julio 2023 TENDENCIAS. El rincón digital 156

Es para mí un tremendo motivo de alegría poder escribir este artículo en un número tan especial dedicado a la Implantología. Es hora de devolverle a esta especialidad todo lo que me da cada día y, si es posible, acercarla un poquito más a todos aquellos que, como yo en su momento, tomamos la decisión de digitalizar nuestros procedimientos implantológicos.

Dejaremos para el próximo número la segunda parte de «Quiero digitalizar mi clínica dental, ¿por dónde empiezo? Transformación digital (II)» y trataremos de dar unas pinceladas básicas a las necesidades y recursos de los que debemos disponer para afrontar una Implantología digitalizada predecible y de calidad.

Pero antes de meternos en materia, creo que sería interesante poner de manifiesto algunos de los beneficios que aporta la Implantología digital.

1. Mayor precisión: la Implantología digital permite planificar y colocar los implantes dentales con una precisión increíblemente alta. El uso de escáneres intraorales y software CAD asegura que los implantes se coloquen en la posición exacta necesaria para lograr una restauración dental perfecta partiendo, no de la disponibilidad ósea, sino de las necesidades restauradoras, lo que comúnmente llamamos cirugía guiada por la prótesis.

2. Tiempos de tratamiento más cortos: la Implantología digital reduce el tiempo de tratamiento en comparación con las técnicas

Universidad Complutense de Madrid.

Máster en implantología, Periodoncia y Rehabilitación Oral, New York University. Senior fellow y speaker ITI (International Team for Implantology). Anthogyr international speaker.

CEO IDE Immersive dental experiences.

Tendencias
DR. GIULIANO FRAGOLA Director médico de Estudio Dental Majadahonda. Licenciado en Odontología,
Gaceta Dental · N o 358 | Junio/Julio 2023 El rincón digital. TENDENCIAS 157
«La Implantología digital reduce el tiempo de tratamiento en comparación con las técnicas tradicionales»

tradicionales. La utilización del software CAD y fresadoras dentales permite crear restauraciones dentales personalizadas de forma rápida y eficiente que se adaptan perfectamente a las necesidades del paciente y que han sido previamente analizadas y planificadas con la ayuda de un ordenador y programas específicamente diseñados para ello.

3. Menor invasividad: la Implantología digital puede ser menos invasiva que las técnicas tradicionales. El escaneado intraoral y la planificación virtual permiten que el procedimiento sea dirigido y preciso, pudiéndose realizar con menos incisiones, aunque este abordaje depende de muchos factores que deben ser analizados en detalle, así como las preferencias de cada profesional.

4. Tiempos de ejecución más cortos. Al realizase una planificación previa y una guía que dirige el fresado y la colocación de los implantes y, en ocasiones, la restauración provisional, los tiempos clínicos se reducen, aportando al paciente enormes beneficios en lo relativo a tiempos de estancia en el consultorio, así como reducción de niveles de estrés y ansiedad.

Pero, ¿por dónde empezamos? Hay cuatro elementos clave en el proceso de digitalización: adquisición de hardware, adquisición de software, proceso de aprendizaje y capacitación, y pruebas piloto con casos sencillos.

Adquisición de hardware

Para poder realizar procesos digitales, lo ideal sería contar con un sistema CBCT, un escáner intraoral, una impresora 3D y, si fuese posible, una fresadora. Ya hemos hablado en detalle sobre algunos de ellos y cómo debemos elegir en base a nuestras necesidades reales y no lo que vemos o nos cuentan; será necesario, por tanto, un momento de reflexión.

Lo ideal sería un CBCT cuyo campo de visión abarcase al menos un maxilar completo, ya que los diferentes softwares de planificación trabajan sobre maxilares individuales y no en ambas arcadas a la vez; recordad siempre que lo que necesitamos es una imagen de calidad en formato dicom (.dcm), que es el empleado en la mayoría de los programas de planificación digital.

En segundo lugar, un escáner intraoral (Intra Oral Scanner: IOS) para obtener modelos virtuales de nuestros pacientes de un modo sencillo, rápido y preciso, incluso más que una impresión de alginato en la que, en muchas ocasiones, nos «olvidamos» de agitar los botes que lo contienen, enrasar bien las cucharas dispensadoras de polvo de alginato, medir el agua, batir a conciencia el tiempo necesario, secar caras oclusales, o vaciar las impresiones de forma correcta, lo que da lugar a modelos distorsionados, con burbujas o carentes de los detalles necesarios para una buena fusión de archivos entre la imagen del CBCT y el IOS.

Gaceta Dental · N o 358 | Junio/Julio 2023 TENDENCIAS. El rincón digital 158
«El uso de escáneres intraorales y software CAD asegura que los implantes se coloquen en la posición exacta necesaria para lograr una restauración dental perfecta»

También es posible hacer buenas impresiones con técnicas convencionales, por supuesto, pero será necesario digitalizarlas con un escáner de sobremesa, o vaciarlas para obtener modelos de escayola que también tendrán que ser digitalizados, añadiendo otro factor más de distorsión.

Existen en el mercado gran cantidad de sistemas de altísima calidad; elegir un sistema u otro dependerá de los deseos de cada profesional y el uso definitivo que le vayamos a dar.

Posteriormente, fusionaremos los dos archivos obtenidos con el IOS y el CBCT, para poder trabajar en un software de planificación del que hablaremos más adelante y, una vez diseñada la férula, proceder a su impresión y realizar la cirugía guiada.

Existen en el mercado infinidad de impresoras 3D con técnicas muy diversas en la generación del modelo y polimerización de las resinas, por lo que dedicaremos más adelante un capítulo completo de «El rincón digital».

En líneas generales, necesitaremos una impresora de resina que nos brinde una resolución de entre 50u y 100u, resinas biocompatibles esterilizables, un dispositivo de lavado y eliminación de la resina no polimerizada una vez impresa la guía y un sistema de polimerización a una determinada temperatura y longitud de onda dependiendo de las especificaciones de cada fabricante.

Llegados a este punto sería lógico pensar que podría no ser una buena idea esto de pasarse a la Implantología digital: nada más lejos de la realidad; una vez se establece el protocolo, es muy sencillo seguirlo, ya que se podrá repetir cada vez con los mismos resultados tras un par de pruebas de ensayo y error y, si no, siempre se puede pedir a los laboratorios que impriman las férulas para nosotros y, de esta manera, ahorrarnos esa inversión hasta que nos sintamos cómodos navegando en esas aguas.

Tenemos las imágenes, el software, la impresora y… ¿qué más nos hace falta? Algo realmente importante, un kit completo de fresas para llevar a cabo la cirugía guiada.

Gaceta Dental · N o 358 | Junio/Julio 2023 El rincón digital. TENDENCIAS 159
Escáner intraoral 3Shape y software de planificación digital CoDiagnostix. Imagen: cedida por el Dr. Fragola.

Llevo más de 15 años utilizando kits de todo tipo, con cucharillas, sin ellas, con casquillos, sin casquillos, de inserción vertical o lateral, hasta que hace dos años he tenido la suerte de poder participar en el diseño de un nuevo kit quirúrgico que ayuda al clínico paso a paso de una manera precisa, clara y sencilla (sistema de cirugía guiada integral de Anthogyr), disponiendo de líneas a modo de indicadores que nos guían en caso de duda.

Es cierto que cada profesional tiene sus preferencias y yo, ahora, tengo mi «kit a medida». Debemos tener claro que es necesario utilizar un sistema de implantes que

cuente con todo lo necesario sin improvisaciones o adaptaciones y esto debe ser algo que debemos conocer bien antes de iniciarnos en la cirugía guiada.

Adquisición de software

Habíamos dejado de lado el software de planificación y es un elemento fundamental a la hora de trabajar. Son muy diversos, pero la principal diferencia radica en la compatibilidad con las diferentes marcas de implantes, la existencia de las geometrías de implantes y aditamentos restauradores en sus librerías y de los casquillos que se van a insertar dentro de las guías para dirigir nuestras fresas.

Algunos softwares del mercado no disponen de las licencias necesarias para incorporar las geometrías de los implantes y añaden «similares», pero es importante recordar que esto es cirugía de precisión y los «similares» no son una opción.

Cada software tiene su modelo de negocio, sus diferentes opciones para exportar los ficheros a imprimir o incluso brindar servicios como «Smile in a Box» (Straumann Group), en los cuales nos ayudan de principio a fin en la planificación del caso,

Kit de cirugía guiada integral. Sistema Anthogyr. Imagen: cedida por el Dr. Fragola.
Gaceta Dental · N o 358 | Junio/Julio 2023 TENDENCIAS.
160
«Debemos tener claro que es necesario utilizar un sistema de implantes que cuente con todo lo necesario sin improvisaciones o adaptaciones»
El rincón digital

diseño de la guía, impresión de la misma así como del provisional y, si lo deseamos, nos proporcionan en el mismo paquete los implantes y aditamentos restauradores que necesitemos. Quizás esta sea una buena forma de empezar con una inversión mínima y es por ello que no debemos descartarlo como una opción posible.

Una vez adquirido el software toca dedicarle tiempo al aprendizaje. Las posibilidades son infinitas: diseño de guías para utilizar una única fresa piloto, kit de fresas convencionales (cirugía pilotada), cirugías unitarias, múltiples, desdentados totales con restauraciones guiadas inmediatas, férulas superpuestas, con o sin imanes. Con el paso de los años he aprendido que las posibilidades son ilimitadas y todo depende del tiempo personal que queramos dedicarle. Creedme, son muchas horas las que he dedicado a planificar y, a día de hoy, no dejan de sorprenderme. Hay sistemas que incluso utilizan la

tan de moda Inteligencia Artificial (IA) para ayudarnos en la definición de estructuras anatómicas como nervios dentarios e incluso permiten realizar extracciones virtuales dejándonos ver perfectamente la anatomía ósea subyacente, algo tremendamente útil en Implantología posextracción. Llevo colaborando con la división de desarrollo de CoDiagnostix (software de planificación digital: Dental Wings, Straumann Group) y debo decir que la IA ha simplificado enormemente procesos que antes me suponían muchísimo trabajo para poder planificar, por ejemplo, un implante mandibular posextracción. Y no digamos casos de arcadas completas en pacientes periodontales con mal pronóstico en los que muchas veces, guiados por los deseos del paciente, nos vemos «obligados» a plantear cargas inmediatas que permitan aumentar la autoestima de una persona que, de pronto, ve cómo todos sus dientes son extraídos para ser sustituidos por implantes.

Gaceta Dental · N o 358 | Junio/Julio 2023 El rincón digital. TENDENCIAS 161
Férulas superpuestas. Imagen: cedida por el Dr. Fragola.

Pero, ojo, no confundamos moda con necesidad. El análisis del caso de manera pormenorizada y explicarle al paciente las diferentes opciones de tratamiento, mantenimiento a corto medio y largo plazo, serán condición indispensable para afrontar este tipo de tratamientos de manera satisfactoria y sin sorpresas.

Ya tenemos la guía, el kit de fresas y hemos relazado la cirugía; ahora toca beneficiarnos de los sistemas de fresado chairside (en consulta) o de restauraciones previamente fresadas y/o impresos para realizar prótesis transicionales, que es como me gusta llamarlas, ya que son de un valor inestimable por la cantidad de información que nos brindan y no un mero elemento provisional para «rellenar las ausencias dentarias». Como habréis podido comprobar, son muchos los aspectos a considerar antes de lanzarse a la Implantología digital, pero siempre después de haber llevado a cabo el proceso de aprendizaje y capacitación y unas pruebas piloto con casos sencillos; entonces podremos decir que estamos en condiciones de dar el paso a casos más avanzados.

Recordad: no tratéis de empezar con los casos complejos porque os llamen la atención o porque justo se acaba de presentar en la consulta un paciente ideal para ello. Eso siempre ocurre al principio: parece que buscamos el más complejo para empezar, pero puede ser el primer y último caso que hagamos, ya que todo proceso requiere tiempo y paciencia, y al final dará sus frutos incorporándose estos procedimientos a nuestro armamento terapéutico diario.

Por último, si os animáis, podéis hacer pequeñas incursiones en el mundo de la realidad extendida empleando la Realidad Virtual (VR) o Mixta (MR) para explicar a vuestros pacientes los planes de tratamiento de una forma más clara y participativa; el paciente os lo agradecerá, ya que muchas veces tiene miedo porque no entiende qué es lo que le vamos a hacer. ●

El Dr. Fragola desarrollando la experiencia inmersiva. Imagen: cedida por Immersive Dental Experiences.
Gaceta Dental · N o 358 | Junio/Julio 2023 TENDENCIAS.
162
«Son muchos los aspectos a considerar antes de lanzarse a la Implantología digital, pero siempre después de haber llevado a cabo el proceso de aprendizaje y capacitación»
El rincón digital

La periodontitis aumenta el riesgo de padecer Alzheimer e ictus isquémico

Un informe realizado por expertos de la Sociedad Española de Periodoncia y Osteointegración (SEPA) y la Sociedad Española de Neurología (SEN) pone de relieve que las personas con periodontitis pueden tener casi el doble de riesgo de padecer Alzheimer y el triple de sufrir un ictus isquémico.

En los últimos años se han acumulado nuevos estudios que apuntan una sugerente vinculación entre la periodontitis y algunas enfermedades neurológicas. Como apunta el Dr. Miguel Carasol, coordinador de los grupos de trabajo de SEPA, «de ahí surge la necesidad de revisar la evidencia científica de esta relación, así como el interés por extraer algunas conclusiones y consejos sobre cómo actuar con los pacientes

con periodontitis y enfermedades neurológicas, que sean de utilidad tanto para el odontólogo como para el neurólogo y, en definitiva, para la población general».

Como concluye la vicepresidenta de SEPA, la Dra. Paula Matesanz, «el resultado del informe muestra que la periodontitis aumenta el riesgo de padecer ictus isquémico y demencia de tipo Alzheimer». Según resalta el Dr. José Miguel Láinez, presidente de la Sociedad Española de Neurología (SEN), «marcadores de riesgo como la periodontitis son de gran ayuda para tratar de evitar, reducir o minimizar el impacto de estos desórdenes neurológicos».

DESÓRDENES CON MAYOR EVIDENCIA CIENTÍFICA

De todas las enfermedades neurológicas, en este informe se han analizado las dos sobre las que existe una mayor evidencia científica de

Gaceta Dental · N o 358 | Junio/Julio 2023 164 NOTICIAS DE ACTUALIDAD
DOCUMENTO DE CONSENSO SEPA-SEN
Miembros del Grupo de Trabajo SEPA-SEN. De izda. a dcha., Miguel Carasol, Ana Frank, Paula Matesanz, José Miguel Láinez, Yago Leira y José Vivancos.

su relación con la periodontitis: la enfermedad cerebrovascular y la demencia. Como revela el Dr. José Vivancos, neurólogo y miembro del grupo de trabajo SEPA-SEN, «la principal dificultad a la hora de elaborar el informe ha sido sintetizar toda la literatura disponible al respecto, así como incluir, en la medida de lo posible, estudios con una buena calidad metodológica».

El informe reporta la evidencia desde tres puntos claramente definidos: la asociación epidemiológica entre la periodontitis y estas dos enfermedades neurológicas, los mecanismos biológicos que puedan explicar estas asociaciones y los estudios de intervención sobre el efecto del tratamiento periodontal como medida preventiva primaria o secundaria de ictus y demencia.

ASOCIACIÓN EPIDEMIOLÓGICA

Las enfermedades neurol ó gica s, entre las que destacan por su frecuencia y morbimortalidad las enfermedades cerebrovasculares y las demencias, constituyen un grave problema de salud p ú blic a, siendo muy relevantes los enormes problemas de discapacidad que comportan. En los ú ltim os a ñ os, a los factores de riesgo conocidos en la aparición y progresi ó n de estas enfermedades, se ha valorado que la periodontitis pueda influir, de alguna manera, en la etiopatogenia de estos cuadros neurol ó gicos.

Atendiendo a los datos epidemiológicos extraídos de estudios evaluados en este informe, «se estima que las personas con periodontitis tienen 1,7 veces m á s riesgo de padecer demencia tipo Alzheimer y 2,8 veces m á s riesgo de sufrir un ictus isqu é mico q ue las personas periodontalmente sanas», destaca el Dr. Yago Leira, periodoncista y coordinador del grupo de trabajo SEPA-SEN, quien recuerda que «la enfermedad periodontal es muy frecuente entre la población adulta (se estima que 8 de cada 10 españoles tienen algún grado o tipo de enfermedad periodontal)»; además, como apunta la Dra. Ana Frank, jefe de Servicio de Neurología del Hospital Universitario La Paz (Madrid) e integrante del grupo SEPA-SEN, «esta enfermedad de las encías resulta especialmente

habitual entre la población anciana, aunque generalmente pasa desapercibida y/o no se le presta la suficiente atención».

LA INFLAMACIÓN, PRESUNTA «CULPABLE»

Como aconseja la Dra. Frank, «sería muy importante disponer de estudios epidemiológicos que confirmasen esta relación y, sobre todo, estudios que nos ayudasen a conocer en detalle los mecanismos implicados». En este sentido, las sospechas giran, fundamentalmente, sobre la hipótesis inflamatoria; en concreto, como explica esta experta, «se especula que esta vinculación puede deberse al efecto inflamatorio que produce la periodontitis, una inflamación crónica y de bajo grado, pero persistente en el organismo, y que desencadena una cascada inflamatoria, que termina no solo provocando consecuencias negativas a nivel neurológico, sino también en otros órganos diana, lo que explicaría su incidencia también en la salud cardiovascular o la diabetes».

En concreto, en la enfermedad cerebrovascular isquémica, existe evidencia experimental sobre cómo la respuesta inmunoinflamatoria crónica de la periodontitis desencadenaría un estado protrombótico de hipercoagulabilidad y de disfunción del endotelio vascular que puede aumentar el riesgo de embolismo/trombosis cerebral.

En el caso de la enfermedad de Alzheimer, según detalla el periodoncista Yago Leira, «multitud de estudios en animales han demostrado que las bacteriemias y endotoxemias que se producen en la periodontitis, junto con un estado de inflamación crónica de bajo grado, contribuyen de manera significativa al desarrollo de procesos neurodegenerativos involucrados en la disfunción cognitiva, como son la neuroinflamación y muerte neuronal, la formación de placas seniles por depósitos de péptidos de beta amiloide así como la aparición de ovillos neurofibrilares debido a la hiperfosforilación de la proteína Tau».

Por lo tanto, según se expone en este informe, existen diferentes mecanismos fisiopatológicos estudiados en modelos experimentales que soportan la plausibilidad biológica de la asociación epidemiológica.

Gaceta Dental · N o 358 | Junio/Julio 2023 165 NOTICIAS DE ACTUALIDAD

LOS BENEFICIOS «NEUROLÓGICOS»

DEL TRATAMIENTO PERIODONTAL

Actualmente no se cuenta con ensayos clínicos aleatorizados que estudien el impacto del tratamiento periodontal en la reducción del riesgo de padecer ictus y demencia, y tampoco existen estudios de intervención sobre prevención secundaria de estas patologías. Sin embargo, según se aclara en el informe SEPA-SEN, hay publicados diversos estudios observacionales en los que se sugiere que diferentes intervenciones de salud oral pueden reducir el riesgo de sufrir ictus o demencia.

En cualquier caso, y a falta aún de los resultados de todos estos estudios, «de lo que no cabe duda es que, como nos enseña este Informe SEPA-SEN, ya podemos y debemos hacer algo», indica Ana Frank. A su juicio, «a la luz de este trabajo ya se pueden realizar dos acciones muy concretas y prácticas: 1) las clínicas dentales de España deberían conocer y difundir este informe; 2) a través de la Sociedad Española de Neurología, vamos a insistir a todos los neurólogos en la importancia que tiene la salud periodontal en sus pacientes y, además, vamos a recomendarles que en todos sus informes de los pacientes (independientemente de la enfermedad neurológica que sufra) hagan constar consejos preventivos específicos sobre salud bucodental (insistiendo en el cepillado dental diario, la visita regular al odontólogo,…)».

MENSAJES PARA ODONTÓLOGOS, NEURÓLOGOS Y POBLACIÓN GENERAL

Sobre este último aspecto incide el Dr. José Miguel Láinez, presidente de la SEN, quien insiste en que «los neurólogos debemos ser conscientes que la presencia de una enfermedad periodontal, como la periodontitis, puede aumentar la incidencia y ser un importante factor de riesgo para algunos tipos de demencia o ictus». Y, por eso, añade, «debemos recomendar a nuestros pacientes que extremen el cuidado y revisión de su salud bucodental, incluyendo estas indicaciones dentro de los consejos de salud general que les ofrecemos».

Y es que los neurólogos pueden jugar un papel clave a la hora de cribar pacientes con signos de

enfermedad periodontal, y así poder derivarlos al dentista para su diagnóstico y, por si fuera necesario, recibir un correcto tratamiento dental.

Por su parte, como señala la vicepresidenta de SEPA, «los odontólogos tienen que saber que la periodontitis se relaciona con un mayor riesgo de ictus y enfermedad de Alzheimer». Por ello, aclara el Dr. Yago Leira, «es de vital importancia que en las consultas dentales seamos capaces de poder cribar pacientes con posibles factores de riesgo vasculares que estén relacionados con enfermedades neurológicas como la hipertensión o la diabetes». Por otro lado, según señala el coordinador del grupo de trabajo SEPA-SEN, «en nuestras clínicas atendemos a miles de pacientes que padecen alguna enfermedad neurológica y tendremos que estar en contacto con nuestros colegas neurólogos para poder ofrecerles el mejor tratamiento posible a estos pacientes, con un adecuado manejo adaptado a cada caso».

Para alcanzar el éxito de estas medidas se precisa difundir entre la población general la información que relaciona salud periodontal y salud neurológica. «Llevar a cabo campañas de información y sensibilización sería un primer paso para que el mensaje derivado de este informe pueda llegar a la sociedad, y así se conozca el posible riesgo neurológico al que se deriva de unas encías enfermas», indica el Dr. Leira, quien apuesta por «promover entre la población el mensaje que la salud bucodental va de la mano con la salud general: ¡la boca forma parte del cuerpo humano!». ●

¡CONSULTA EL ARTÍCULO CIENTÍFICO

PERIODONTITISENFERMEDADES

NEUROLÓGICAS

PUBLICADO EN GD!

Gaceta Dental · N o 358 | Junio/Julio 2023 166 NOTICIAS DE ACTUALIDAD

contacto entre dentistas y neurólogos beneficia a la salud del paciente»

SEPA con otras sociedades científicas médicas como la SED (Sociedad Española de Diabetes) o la SEC (Sociedad Española de Cardiología), y que creía que quizás ahora podría ser una buena idea empezar lo mismo con la SEN. Nos pusimos en contacto con mi mentor y jefe en la Universidad de Santiago, el Prof. Juan Blanco (expresidente de SEPA), para organizar una reunión con Javier García de SEPA. Fruto de esa reunión, se empezó a tejer el grupo SEPA-SEN. En los primeros pasos fue crucial el apoyo del por aquel entonces presidente de la SEN, el Dr. José Miguel Laínez, al que nos une una gran amistad y, por supuesto, de los Dres. Antonio Bujaldón y José Nart (por entonces presidente y vicepresidente de SEPA, respectivamente) junto con Miguel Carasol (coordinador de los grupos de trabajo de SEPA y actual miembro del grupo SEPA-SEN). A este último tengo que agradecerle su gran ayuda para constituir y organizar el grupo SEPA-SEN, ya que sin su experiencia y afán desinteresado por ayudar este proyecto no hubiera visto la luz. También, me gustaría hacer referencia al resto de integrantes del grupo: los neurólogos Prof. Ana Frank y José Vivancos, y el médico estomatólogo Prof. Pedro Diz, pues es un placer contar con gente tan cualificada y, a la vez, tan humilde en este grupo.

—¿De dónde nace la colaboración entre SEPA y SEN?

—La creación del grupo SEPA-SEN tiene su origen en el año 2019 tras una larga charla entre un padre (Dr. Rogelio Leira, neurólogo) y su hijo (un servidor). Recuerdo que le estaba explicando a mi padre las colaboraciones que estaba realizando

—¿Qué beneficios puede aportar la colaboración entre dentistas y neurólogos a la salud de la población?

—El estar en constante contacto con nuestros colegas neurólogos es clave para ofrecer a nuestros pacientes la máxima calidad para cuidar de su salud (tanto bucal como general). Cada vez, de manera más frecuente, nos

Gaceta Dental · N o 358 | Junio/Julio 2023 168 NOTICIAS DE ACTUALIDAD
«El
El Dr. Yago Leira en el acto de presentación del documento de consenso SEPA-SEN en La Casa de las Encías.

encontramos a pacientes periodontales con enfermedades neurológicas como el ictus o la demencia (sobre todo la de tipo Alzheimer). Para un correcto manejo de los mismos, la colaboración por parte de los neurólogos es fundamental. Por otro lado, debido a la potencial relación que existe entre la periodontitis y el ictus o la enfermedad de Alzheimer, el neurólogo podría tener un rol importante para cribar y, posteriormente, derivar pacientes con posibles problemas periodontales al odontólogo.

—Prevención, diagnóstico, tratamiento… ¿en todas las fases de la atención sanitaria a pacientes con enfermedad neurológica el dentista puede tener un papel destacado? —Realmente a todos los niveles. Desde la consulta dental, se pueden desarrollar protocolos de detección precoz, por ejemplo, de deterioro cognitivo a través de cuestionarios fácilmente realizables en nuestras clínicas. Además, la enfermedad cerebrovascular (en especial el infarto cerebral) y algún tipo de demencia presentan factores de riesgo vasculares (como la hipertensión o la diabetes), que también pueden ser detectables en la consulta dental a través, por ejemplo, del protocolo Promosalud liderado por Miguel Carasol.

En cuanto a si el tratamiento periodontal puede tener un efecto beneficioso en los pacientes con patología neurológica, todavía no existen datos científicos al respecto. Lo que sí sabemos es que el tratamiento periodontal puede actuar positivamente en el control glucémico, incluso, en la tensión arterial. Por lo tanto, en pacientes con un alto riesgo vascular es recomendable que su estado periodontal sea óptimo y, en caso de necesitar tratamiento periodontal, que sea realizado con la mayor brevedad posible.

—Después de este documento de consenso firmado por SEPA y SEN, ¿cuáles son los siguientes pasos a seguir? ¿Se estudia la posibilidad de desarrollar conjuntamente algún protocolo?

—Ya hemos dado el primer paso, que es dar a conocer el documento de consenso. Posteriormente, en el marco de la reunión anual

de la Sociedad Española de Neurología, se tiene previsto la organización de un seminario sobre la relación entre la periodontitis y las enfermedades neurológicas. Además, se tiene pensado realizar un informe divulgativo del consenso para que tanto nuestros colegas odontólogos como médicos, así como nuestros pacientes puedan estar al día de los principales hallazgos del mismo. Una vez finalizada esta primera etapa, el grupo valorará los siguientes pasos a tomar y uno de ellos podría ser la de poner en marcha un protocolo de actuación conjunta entre odontólogos y neurólogos para aplicar tanto en la consulta dental como en las unidades especializadas de neurología.

—¿Cómo trasladar a sus colegas su papel clave en la salud, mucho más allá de la salud oral?

—Creo que esto se está logrando poco a poco. Una de las sociedades científicas pioneras en la promoción de la salud bucal y general es SEPA. Ha hecho y está haciendo un trabajo maravilloso a través de sesiones específicas en su congreso anual así como de la formación continua para profesionales del ámbito odontológico sobre la relación entre periodontitis y enfermedades sistémicas, así como sobre el papel del odontólogo como promotor de salud general desde la clínica dental. Además, ha puesto en marcha el proyecto al que he hecho referencia previamente: Promosalud.

—Asimismo, ¿cómo conseguir hacer llegar a la población el mensaje que si se descuida la salud oral, las consecuencias pueden ir más allá de un problema en la boca?

—Se podría empezar por llevar a cabo campañas de sensibilización para que la población general conozca la relación que existe entre la periodontitis y otras enfermedades crónicas no comunicables. Una buena manera de hacer esto sería organizar puestos informativos en diferentes ciudades españolas los días en los que se celebra cada una de estas enfermedades como, por ejemplo, la diabetes y la hipertensión, así como de condiciones neurológicas como el ictus y la enfermedad de Alzheimer; sin olvidarnos del día de la Periodoncia. ●

Gaceta Dental · N o 358 | Junio/Julio 2023 169 NOTICIAS DE ACTUALIDAD

DR. JOSÉ VIVANCOS, NEURÓLOGO Y MIEMBRO

DEL GRUPO DE TRABAJO SEPA-SEN

—¿Cuál es la situación de la patología neurológica en España?

—Tanto la patología cerebrovascular como los diferentes tipos de demencia son dos áreas de la neurología muy prevalentes. Hoy en día en neurología, el primer motivo de consulta y de

derivación de pacientes, fundamentalmente de Atención Primaria, es por deterioro cognitivo o enfermedad cerebrovascular. El ictus es la patología neurológica grave más frecuente. Es y será en los próximos años un motivo de preocupación importante: una de cada seis personas va a tener un ictus a lo largo de su vida. Además es una enfermedad que, aunque se ha avanzado mucho tanto en su prevención como en su tratamiento, sigue teniendo una alta tasa de mortalidad -es la primera causa de mortalidad entre las mujeres en los países desarrollados-, es la primera causa de discapacidad grave del adulto y es la segunda causa de demencia. Son enfermedades que están, incluso, relacionadas, con lo cual son problemas de salud de primera magnitud y lo van a ser en los próximos años. Todo lo que hagamos en prevención y para mejorar la asistencia a nuestros pacientes muy bien hecho está.

—¿Por qué esta elevada prevalencia de estas enfermedades?

—Son enfermedades que están muy ligadas al envejecimiento y cada vez vivimos más. El segundo factor añadido es que hay determinados factores de riesgo que los precipitan. En el caso de la enfermedad cerebrovascular es muy claro. El primer factor de riesgo para el ictus es la hipertensión arterial, también otros como las arritmias cardiacas, la diabetes, el sedentarismo, la obesidad, el tabaquismo, el excesivo consumo de alcohol... Además, estos factores de riesgo también lo son para el desarrollo de determinadas demencias. Aunque las más frecuentes como la enfermedad de Alzehimer tiene un origen neurodegenerativo,

Gaceta Dental · N o 358 | Junio/Julio 2023 170 NOTICIAS DE ACTUALIDAD
«Todos los profesionales sanitarios debemos hacer promoción de la salud»
El Dr. José Vivancos participó también en el acto de presentación del documento de consenso SEPA-SEN en La Casa de las Encías.

en su producción también juegan un papel importante los factores de riesgo vascular. De tal forma que esto sí que es modificable. Es decir, la edad de momento no la podemos modificar, pero todos estos factores de riesgo sí. Después existen otros factores de riesgo que han propiciado la colaboración entre SEPA y SEN y que son aquellas circunstancias que promueven estados de inflamación crónicas como la enfermedad periodontal, que también es un factor de riesgo para el desarrollo de estas enfermedades neurológicas.

—¿Qué se puede hacer en las consultas dentales por los pacientes neurológicos?

—La recomendación genérica que haría a los odontólogos es la que le haría a cualquier profesional sanitario: promocionar entre nuestros pacientes la salud. En este caso consistiría en promover hábitos de vida saludables y el control de circunstancias de riesgo que pueden favorecer estas enfermedades. Por ejemplo, una breve historia clínica para saber si el paciente tiene la tensión alta, si es diabético, si tiene el colesterol alto...

Además, el paciente antes de ser atendido por el dentista está en la sala de espera. El hecho de que ahí se le pueda facilitar información para que pueda leer antes de ser atendido, que se hable de salud… todo eso hace que podamos mejorar la prevención de estas enfermedades. Y, por supuesto, su labor específica que es el control y tratamiento de las enfermedades que condicionan una inflamación crónica como es la enfermedad periodontal.

También muchos pacientes de ictus están en tratamiento con antitrombóticos y la recomendación sería establecer con precisión a qué pacientes sería adecuado retirar temporalmente esos anticuagulantes porque la actuación sobre su dentadura así lo precise. A veces los retiramos alegremente y sometemos al paciente al riesgo de una recurrencia de estas graves enfermedades. En cualquier caso, lo que hay que hacer es promover la comunicación entre profesionales sanitarios. Estamos encantados de hablar con nuestros compañeros para hacer consultas y ver si hay que retirar o no la

medicación, si hay que iniciar algún tratamiento sustitutivo… Todo esto es muy relevante y se puede hacer en las consultas de Odontología. En el caso de los pacientes con demencias lo que añadiría es que, a veces, son pacientes difíciles de atender en una consulta dental. Las recomendaciones que nosotros le podemos hacer cuando se le va a hacer un procedimiento dental probablemente no las atienda o entienda, son pacientes que están intranquilos e inquietos cuando salen de su entorno habitual. A veces se necesita administrar algún tipo de sedación. La comunicación con su neurólogo para establecer el mejor escenario para que se pueda hacer el procedimiento dental que precise es relevante.

A veces hago recomendaciones en consulta sobre premedicación o qué tiene que hacer el paciente con un deterioro cognitivo en situación moderada o avanzada para que el dentista pueda realizar su trabajo. La comunicación en este sentido también es relevante.

—¿Qué beneficios puede aportar la colaboración entre neurólogos y dentistas a la salud de la población?

—Los dos somos profesionales sanitarios y el beneficio es la promoción de la salud. Cada uno hacemos nuestro trabajo lo mejor posible y en coordinación. Tenemos que trabajar en la misma dirección. En el caso de enfermedades prevenibles, como el ictus, yo siempre digo que el mejor tratamiento para un ictus es el que no ocurre. La prevención del ictus es el mejor tratamiento que podemos hacer hoy en día.

—¿Cuáles son los pasos a dar por ambas sociedades?

—En noviembre, en el congreso anual de la SEN en Valencia tenemos pensado hacer un simposium donde daremos a conocer este consenso a los neurólogos. Después nos queda una labor de divulgación entre nuestros compañeros, tanto neurólogos como dentistas. Y después está en nuestra mente hacer una publicación científica al detalle, con toda la bibliografía revisada por la que se ha alcanzado este consenso para quienes tengan interés en revisarlo más en profundidad. ●

Gaceta Dental · N o 358 | Junio/Julio 2023 171 NOTICIAS DE ACTUALIDAD

LIBRO BLANCO DEL CONSEJO GENERAL DE DENTISTAS DE ESPAÑA

Encuesta poblacional de la salud bucodental en la España postpandemia

los problemas bucodentales en 2 de cada 10 encuestados (17%), como caries sin tratar, sensibilidad dental, encías que sangran y bruxismo. En concreto, esta patología se ha incrementado notablemente, pasando del 6% en 2019 al 23% en la actualidad. Esto se debe a la ansiedad y el estrés que vivió la población durante la pandemia.

VISITAS AL DENTISTA

El 31% de los encuestados redujo la frecuencia de las visitas al dentista durante la pandemia y el 77% de las causas esgrimidas para no ir a consulta durante ese periodo están directamente relacionadas con el coronavirus, entre otras, el miedo al contagio. En el caso de los menores, el 55% visitó al dentista en 2019, una cifra que se redujo al 39% durante la pandemia.

Así, este “Libro Blanco 2023: Encuesta poblacional de la salud bucodental en la España postpandemia Covid-19”, revela importantes datos obtenidos tras entrevistar a más de mil personas mayores de 18 años.

RESULTADOS

El 12% de los encuestados afirma preocuparse más por el estado de su salud oral que antes de la pandemia, y un 67% reconoce tener algún problema bucodental frente al 57% de la encuesta publicada en 2020. Durante el periodo pandémico (2020-2021) se produjo un agravamiento de la percepción global de

Globalmente, el 8% de las personas entrevistadas no ha recuperado su frecuencia habitual de visitas al dentista en el periodo postpandémico (a partir de 2022). Cabe destacar que la actual crisis económica y el alza de la inflación son posibles causas de la retracción detectada. Al comparar los datos del Libro Blanco 2023 con los del de 2020, se evidencia que los factores económicos eran citados entonces por el 24% de los encuestados que no acudían al dentista, mientras que ahora esa cifra se eleva al 36%. Por lo tanto, el miedo al contagio y la pérdida de poder adquisitivo se han solapado, propiciando un menor uso de los servicios odontológicos.

Aunque la cifra de encuestados que acudieron al dentista el año pasado es del 52%, la realidad apunta a una disminución del volumen de trabajo y, en determinados casos, los tratamientos demandados se corresponden con una atención más básica que los de la etapa prepandémica, cuando eran más complejos. ●

Gaceta Dental · N o 358 | Junio/Julio 2023 172 NOTICIAS DE ACTUALIDAD
Con el objetivo de complementar la información publicada en el Libro Blanco 2020, elaborado con datos previos a la pandemia, el Consejo General de Dentistas y la Fundación Dental Española han analizado la influencia de la pandemia por Covid-19 en varios aspectos de la población.
Óscar Castro -izda.- y Francisco García, presidente y vicepresidente, respectivamente, del Consejo General de Dentistas. Imagen: cedida por el Consejo.

EL COLEGIO ALAVÉS INAUGURÓ TAMBIÉN SU NUEVA SEDE

El Dr. Óscar Castro, Colegiado de Honor de la organización de dentistas alavesa

distinción a Castro Reino, quien aseguró estar «muy agradecido de todo corazón, porque se trata de un reconocimiento que procede de mis propios compañeros de profesión y, por eso, su valor es doble».

El Colegio de Odontólogos y Estomatólogos de Álava ha nombrado Colegiado de Honor a Óscar Castro Reino, presidente del Consejo General de Dentistas de España. Carmen Mozas, presidenta saliente de la institución alavesa, fue la encargada de entregar la

El acto se celebró durante la inauguración de la nueva sede del Colegio de Dentistas Álava, a la que asistieron representantes políticos municipales y autonómicos, y la nueva presidenta del Colegio de Odontólogos y Estomatólogos de Álava, Carmen López Díaz. Durante su discurso, el presidente del Consejo de Dentistas destacó la importante labor que ha llevado a cabo Carmen Mozas durante su etapa al frente de los dentistas de Álava, «luchando contra la publicidad engañosa y el intrusismo profesional y apostando por la formación continuada. Estos años en los que he tenido la suerte de trabajar codo con codo con ella y su equipo, el Colegio de Dentistas de Álava ha sido un verdadero puntal dentro de la Organización Colegial». ●

173 NOTICIAS DE ACTUALIDAD Redefiniendo el arte dental moderno Explore las unidades dentales Heka Heka Dental A/S Tel.: +45 43 32 09 90 heka-dental.es
En el centro, Carmen López Díaz y Óscar Castro Reino, junto al comité ejecutivo del Consejo de Dentistas. Imagen: cedida por el Consejo de Dentistas.

174

SE CELEBRARÁ EL 9 DE SEPTIEMBRE

«A bright future built on wide smiles», el lema del nuevo evento de 3Shape

precisas y efectivas, lo que lleva a resultados más seguros y predecibles».

En resumen, «el lema es una llamada a una Odontología segura, ética y colaborativa, que aprovecha la tecnología de vanguardia para mejorar la vida de las personas y construir un futuro más brillante para todos», manifiestan desde 3Shape.

3Shape celebrará su primer encuentro nacional Digital Innovation Summit el próximo 9 de septiembre de 2023. Bajo el lema «A bright future built on wide smiles», y con un programa científico de excelencia, el evento se convierte en una llamada a una visión aspiracional que trasciende la mera tecnología dental, con el único fin de facilitar el trabajo de los profesionales dentales y mejorar la experiencia de los pacientes.

Este lema, tal y como explican desde 3Shape, «apunta a un futuro en el que las sonrisas sean un pilar fundamental de nuestra sociedad, en el que se valore la importancia de la salud dental y el impacto que tiene en nuestra calidad de vida. Este futuro brillante no solo se construye sobre tecnología de vanguardia, sino también sobre valores éticos sólidos y una cultura de pertenencia y colaboración».

En este futuro, añaden, «la tecnología se utiliza para facilitar el trabajo de los profesionales dentales y mejorar la experiencia de los pacientes. La evolución tecnológica y la investigación científica están en constante evolución para brindar soluciones dentales

Para garantizar una experiencia enriquecedora, los visitantes serán recibidos en el welcome experience area, un lugar de encuentro, demostraciones y networking donde los profesionales podrán descubrir las bondades que ofrecen las soluciones de 3Shape en el ámbito de la Odontología digital. Este espacio estará lleno de sorpresas e interesantes oportunidades de interacción. Las ponencias se llevarán a cabo en la «sala experience», donde se abordarán temas de alto interés con dinamismo y participación activa.

«Contaremos con la presencia de speakers, los cuales ofrecerán su visión interactiva y aspiracional, y el visitante se verá sorprendido y atendido durante toda la jornada, pudiendo resolver cualquier interés o duda acerca 3Shape y sus socios», detallan. ●

INSCRÍBETE Y CONSULTA

EL PROGRAMA AQUÍ

Gaceta Dental · N o 358 | Junio/Julio 2023
NOTICIA DE EMPRESA

3Shape Aspirational

3Shape HighFidelityDentistry

3Shape NextLevel,UnlimitedPossibilities

3Shape Efficiency&Change

3Shape Connections

3Shape ITDon´tTakeRisk&ProtectYourInvestment Chairman.

Internationalguest speakerandKOL

Advance.Connect.Together
Dra.BelénMorón Dr.DavidJiménez Dr.GuillermoPradíes Ing.JavierdelaChica Dra.MarinaOlea Dr.LuisCuadrado

EN LA AGENDA 2030

SECIB pide a Sanidad aplicar la estrategia de la OMS en salud bucodental

La Sociedad Española de Cirugía Bucal (SECIB) ha pedido al Ministerio de Sanidad, a travé s de una carta remitida, que incorpore a la Agenda 2030 las recomendaciones de la resolución 74.5 de la Organización Mundial de la Salud (OMS) en material de salud bucodental.

SECIB plantea al Ministerio «un aumento de las prestaciones públicas básicas quirúrgicas, así como mejorar la tecnología disponible en la atención pública bucodental».Asimismo, la Sociedad Española de Cirugía Bucal, en sintonía con la OMS, llama la atención sobre la necesidad de avanzar hacia un enfoque preventivo, y no meramente curativo, para lo cual entiende que «se deberían reforzar y tener aval institucional los programas de prevención del cáncer oral en adultos y de prevención de la caries y la enfermedad periodontal en la población infantojuvenil».

En particular, con respecto al cáncer oral, SECIB sugiere la idoneidad de «trabajar en una

historia única y oficial de monitorización de lesiones potencialmente malignas y del cáncer oral y sus factores de riesgo».

Por otro lado, el Dr. Daniel Torres, que firma la carta como presidente de SECIB, se refiere también a la idea expresada por la OMS de poner en marcha un plan de acción de salud bucodental pública que incluya un marco de seguimiento con metas claras y cuantificables sobre consumo de tabaco, masticación de nuez de areca o de betel y de alcohol. Todo ello sobre la base de servicios de Odontología comunitaria, de promoción de la salud y educación sanitaria y de atención preventiva y curativa básica. En este sentido, el Dr. Torres asegura que «esta estrategia debería incorporarse dentro de las medidas implementadas por el Gobierno de España para el horizonte 2030».

Del mismo modo, «respecto a la teleodontología, consideramos crucial que se introduzca en la totalidad de las consultas de la Atención Primaria de nuestro Estado, al objeto de facilitar la integración real de la Odontología en las unidades hospitalarias, añade el presidente de SECIB». ●

176 NOTICIAS DE ACTUALIDAD

UN CONGRESO QUE AUNÓ A TODO EL EQUIPO DENTAL

SOCE Zaragoza 2023, a la vanguardia de la Odontología digital

preparar a sus técnicos para poder diseñar y preparar unas prótesis digitales acordes a los tiempos», explicó Fernando Loscos, presidente del Congreso SOCE Zaragoza 2023.

PROGRAMA CIENTÍFICO DE NIVEL

Los pasados 28 y 29 de abril, la ciudad de Zaragoza acogió con éxito la celebración del Congreso Anual de la Sociedad Española de Odontología Digital y Nuevas Tecnologías (SOCE), una cita científica que puso de manifiesto todo lo que la tecnología puede ofrecer al personal de la consulta y del laboratorio.

El evento fue inaugurado por el Dr. Rafael Vila, presidente de SOCE; el Dr. Fernando Loscos, presidente del Congreso SOCE Zaragoza 2023; Jaime Alfonso, presidente del Colegio de Odontólogos y Estomatólogos de Aragón; Marián Orós, representante del Ayuntamiento de Zaragoza; y José María Abad Díez, director general de Asistencia Sanitaria de Aragón.

«Se trata de aunar a todos, no solo los odontólogos o estomatólogos, sino a todos los que engloban el equipo dental. Los higienistas y auxiliares deberán adaptarse a la nueva toma de registros y su procesado para enviarlo de una manera digital a los laboratorios y éstos deberán

Por esta razón, al tratarse de un congreso global odontológico, el programa científico abordó las últimas novedades en las diferentes ramas, «lo cual va a repercutir en la definición de un tratamiento multidisciplinar más tecnológico y preciso, que, en el momento que lo podamos aplicar en nuestras consultas, servirá para mejorar nuestros tratamientos. Es decir, que éstos sean más predecibles y que el paciente requiera menos tratamiento presencial», detalló el presidente. Por su parte, el Dr. Rafael Vila señaló: «Nuestra razón de ser es el paciente. Ofrecer los mejores tratamientos de la manera menos invasiva, en el menor número de visitas, con la mayor precisión y durabilidad posible. Por eso, desde siempre hemos creído en la Odontología Digital. Ésta forma parte del ADN de SOCE», añadió.

Así, los asistentes al congreso pudieron disfrutar de una amplia variedad de conferencias de la mano de expertos de renombre, talleres prácticos y speech corner que pusieron el foco en la importancia de la Odontología Digital.

GACETA DENTAL, EN LA ZONA EXPOSITIVA

Las casas comerciales tampoco quisieron perderse este importante evento y presentaron a los asistentes toda la aparatología necesaria para poder llevar a cabo los tratamientos. La Tienda Gaceta Dental también estuvo presente en la zona expositiva con sus más de 180 obras de todas las disciplinas para los profesionales y estudiantes de Odontología. ●

Gaceta Dental · N o 358 | Junio/Julio 2023 177 NOTICIAS DE ACTUALIDAD
De izda. a dcha.; el Dr. Rafael Vila, presidente de SOCE; el Dr. Fernando Loscos, presidente del Congreso SOCE Zaragoza 2023; Marián Orós, representante del Ayuntamiento de Zaragoza; Jaime Alfonso, presidente del Colegio de Odontólogos y Estomatólogos de Aragón; y José María Abad Díez, director general de Asistencia Sanitaria de Aragón. Imagen: Gaceta Dental.

JAIME Y MANUEL DE BARRIO AGUIRRE, FUNDADORES DE CLUB CLÍNICO

necesidad de revolucionar un sector que no conocían? ¿Cómo fue el arranque en plena pandemia Covid-19?

En plena pandemia, Jaime y Manuel de Barrio Aguirre, dos hermanos ingenieros con ganas de revolucionar el sector dental, fundaron Club Clínico, un marketplace para facilitar el trabajo a las clínicas dentales. Aquí nos cuentan cómo ha sido el camino recorrido y qué esperan conseguir en el futuro.

—¿Qué es Club Clínico?

—Club Clínico es un marketplace en el que la clínica tiene acceso a un gran número de vendedores, pudiendo comparar catálogo y condiciones, simplificar las tareas administrativas y de soporte, y gestionar toda la información de compras. Todo en una misma web. Además del ahorro de tiempo que supone esto, actuamos como una central de compras, negociando directamente precios y catálogo con estos vendedores, permitiendo a la clínica ahorrar un 13% de media respecto a sus precios habituales de compra.

—¿Qué despierta en dos ingenieros la

Las ganas de ayudar a nuestra familia. Aunque ambos, además de ingenieros hemos trabajado en grandes consultoras, un gran número de nuestros familiares son médicos (muchos de ellos dentistas) y hemos visto cómo se frustraban con la parte administrativa y de gestión de la clínica y el impacto que esto tenía en términos de tiempo y dinero sobre su negocio. En 2020, durante el MBA en IESE, tuvimos la oportunidad de dedicarle tiempo a profundizar en el problema concreto que hoy soluciona Club Clínico: la ineficiencia en el proceso de compras, la poca transparencia en los precios y el descontrol en una de las partidas de gastos más elevadas. El arranque fue intenso. Al final empezamos con una idea y con un teléfono cada uno, llamando desde casa a proveedores para saber si se unirían y empezarían a vender a través de Club Clínico. Lo normal era escuchar un «no» oun «estás loco, eso lo han intentado muchos y nunca ha funcionado». También llamamos a cientos de clínicas para validar la idea y tener en cuenta sus necesidades concretas. Tres años después ya son más de 1.500 clínicas y casi 100 proveedores.

—En este sentido, ¿cómo está ayudando Club Clínico al sector? ¿Qué cambio de paradigma está liderando?

—De manera global diríamos que Club Clínico viene a democratizar las compras, dando transparencia y uniendo a un mercado donde cada clínica negociaba sus precios y hacía la guerra por su cuenta, perdiendo poder frente a los proveedores; a digitalizar todo el proceso para hacer la vida más fácil y rentable a la

178 Gaceta Dental · N o 358 | Junio/Julio 2023
ENTREVISTA DE EMPRESA
«Nuestra visión es que la clínica no dedique ni un minuto a las compras»
De izda. a dcha.; los hermanos Jaime y Manuel de Barrio Aguirre, fundadores de Club Clínico.

clínica; y a permitir a los dentistas de autor competir con las grandes cadenas en igualdad de condiciones. Esto se resume en ahorro de tiempo y dinero. A modo de anécdota, antes éramos nosotros los que teníamos que convencer a un proveedor para que estuviera en nuestro marketplace, ahora son ellos los que nos llaman para unirse y nos transmiten que han sido capaces de ver el beneficio que tendrán por ser parte de Club Clínico. Nos encantaría trabajar con todos, y tenemos una clara propuesta de valor para ellos.

—¿Qué impacto se ha tenido durante estos tres años?

—Hemos vivido muchas cosas, la mayoría de ellas buenas, pero también hemos tenido momentos difíciles. Sin embargo, nuestra vocación de cambiar el sector, la obsesión por mejorar constantemente y escuchar lo que nuestro cliente necesita y el gran equipo que tenemos, nos han llevado a: más de 1.500 clínicas a las que ahorramos de media un 13%; casi 100 proveedores a los que les hemos incrementado ventas de las 130.000 referencias que tenemos (mayor catálogo de Europa), y una web que llama la atención de todo el panorama digital. El proyecto está funcionando y prueba de ello son los más de 3,5 millones de euros que hemos recibido de financiación de diferentes inversores, entre ellos fondos de inversión de alcance internacional que apuestan por nosotros y por hacer que las clínicas sigan mejorando su gestión del día a día. Además, es importante destacar el gran logro a nivel de producto tecnológico tras casi tres años de desarrollo. En este tiempo hemos conseguido un motor de búsqueda muy eficaz y en mejora

constante; una herramienta que optimiza el carrito de la compra, ofreciendo a las clínicas varias opciones en función de sus prioridades; además de funcionalidades de gestión, como el control de stock y el presupuestario.

—Y, pensado en el futuro, ¿cuáles son los siguientes pasos?

—Nuestra visión es que la clínica no dedique ni un minuto a las compras y le llegue lo que necesita, cuando lo necesita y al mejor precio. En este sentido, estamos trabajando en diferentes ámbitos dentro de nuestra tecnología para seguir desarrollando nuestra propuesta de valor con Inteligencia Artificial y otras funcionalidades para agilizar las compras. También estamos desarrollando productos para grandes grupos de clínicas y, por supuesto, para los proveedores y marcas que trabajan con nosotros. En el ámbito más de compañía, este año salimos a Portugal y Francia. Esto es importante para las clínicas de aquí, porque cuantos más seamos, más poder de negociación tendremos. ●

ACCEDE A CLUB CLÍNICO

179 Gaceta Dental · N o 358 | Junio/Julio 2023
ENTREVISTA DE EMPRESA
Foto de equipo de Club Clínico. Comparador de Club Clínico.

PARTICIPARON CERCA DE 300 PROFESIONALES

El paciente adulto, tema principal de SEGER León 2023

manera muy directa; además de contar con ponentes jóvenes de trayectoria universitaria. También se analizaron casos reales de pacientes, como, por ejemplo, las posibilidades terapéuticas actuales de pacientes con atrofias severas que dificultan su tratamiento convencional. Además, se celebró un «Maratón de decisiones clínicas». En la jornada del sábado se celebró un concurso interuniversitario en el que los dentistas jóvenes fueron los protagonistas.

El Auditorio de León acogió del 4 al 6 de mayo el XXI Congreso Nacional y X Internacional de la Sociedad Española de Gerodontología (SEGER), en el que participaron cerca de 300 profesionales del sector.

El programa que se diseñó para el encuentro estaba especialmente dirigido al odontólogo joven, quien será el actor de los tratamientos a nuestros mayores en los próximos años. Entre los asuntos que se abordaron en las distintas mesas de trabajo, en la jornada del viernes se desarrollaron tres mesas de trabajo donde se abordaron temas como: Ortodoncia, sobretratamiento o indicación, atrofia maxilar severa, enfoque terapéutico y rehabilitación prostodóntica en el paciente adulto mayor, analógica o digital, entre otros.

La cuarta mesa de la sesión, «Maratón de decisiones clínicas», se centró en temas específicos del paciente adulto mayor de una

El presidente del Congreso, el Dr. Mariano del Canto, recordó que cada día es más importante adaptar los contenidos curriculares de las universidades y convertir la Gerodontología en una entidad específica en los mismos. El objetivo: dar respuesta a las peculiaridades de una población «que cada día vive más años, en mejores condiciones y con mayores exigencias estéticas y funcionales para seguir con su vida social y, a veces, también una segunda vida laboral».

GD, PRESENTE EN LA CITA

La Tienda Gaceta Dental no quiso perderse esta cita y también estuvo en la zona expositiva ofreciendo a los asistentes sus más de 180 obras de todas las disciplinas para los profesionales y estudiantes de Odontología. ●

Gaceta Dental · N o 358 | Junio/Julio 2023 180 NOTICIAS DE ACTUALIDAD
Acto inaugural se SEGER León 2023. De izda. a dcha.; el Dr. Mariano del Canto, presidente del Congreso; José Antonio Díez, alcalde de León; la Dra. María Jesús Suárez, vicepresidenta de SEGER; y el Dr. José Sevilla, vicepresidente del Colegio Oficial de Dentistas de León. Visita de la comitiva inaugural de SEGER León 2023 al stand de la Tienda GD. Imagen: Gaceta Dental.

BAJO EL LEMA “TECNOLOGÍA AL SERVICIO DE LOS PROFESIONALES”

Pistoletazo de salida para Expodental’24

Más de cien profesionales acudieron a la presentación de la décimo séptima edición de Expodental, Salón Internacional de Equipos, Productos y Servicios Dentales, que se celebrará del 14 al 16 de marzo de 2024 en los pabellones 4, 6 y 8 del Recinto Ferial.

e internacionalidad de esta feria líder y con una fuerte orientación al negocio.

La presentación también contó con la participación de Roberto Rosso, fundador y presidente de Key-Stone, quien realizó un análisis de la situación actual del mercado dental, teniendo en cuenta la demanda de los servicios odontológicos en los últimos años.

ÁREA DE FORMACIÓN DIFERENCIADA

La adjudicación de espacios para la nueva edición de Expodental, que ocupará los pabellones 4, 6 y 8 del Recinto Ferial y que contará con Italia como país invitado, se realizará los días 26, 27 y 28 de septiembre en las instalaciones de IFEMA MADRID.

Representantes de 80 empresas líderes del sector dental se dieron cita en el Recinto Ferial de Madrid, con motivo de la presentación de la próxima edición de EXPODENTAL, Salón Internacional de Equipos, Productos y Servicios Dentales. La feria, organizada por IFEMA MADRID, en colaboración con la Federación Española de Empresas de Tecnología Sanitaria, Fenin, celebrará su XVII edición los días 14 al 16 de marzo (de jueves a sábado) bajo el lema «Tecnología al servicio de los profesionales”.

El acto contó con las intervenciones de la directora de negocio de IFEMA MADRID, Arancha Priede; la secretaria general de Fenin, Margarita Alfonsel; el presidente del sector dental de Fenin, Luis Garralda; y la directora de EXPODENTAL, Ana Rodríguez, quien ofreció un amplio detalle de los contenidos, así como de la estrategia, ya en marcha, para impulsar la representatividad

EXPODENTAL contempla, además, la presentación de un espacio diferenciado para el sector de formación, que concentrará la información sobre la mejor oferta académica en grado, postgrado y formación continua de profesionales, y donde habrá una zona específica de actividades donde las empresas podrán desarrollar sus presentaciones y charlas. Por otra parte, el Día del Estudiante se celebrará el 14 de marzo.

De forma paralela a la exposición comercial, se organizará un programa de presentaciones, a cargo de las empresas expositoras, que tendrá lugar en el Speakers’ Corners donde se darán a conocer algunas de las tecnologías, soluciones y tratamientos más innovadores desarrollados en los últimos dos años.

EXPODENTAL 2024 también incorpora una fórmula de hibridación que complementa la participación presencial de empresas y profesionales con la plataforma digital LIVEConnect ofreciendo un valor añadido a todos los participantes y una probada herramienta para ampliar las oportunidades de networking entre expositores y visitantes. ●

182 NOTICIAS DE ACTUALIDAD Gaceta Dental · N o 358 | Junio/Julio 2023
Más de un centenar de profesionales acudieron a la presentación de Expodental 2024.

GRUPO DEL INSTITUTO DE INVESTIGACIÓN BIOMÉDICA DE BELLVITGE

La Universidad de Barcelona, referente en la investigación del tercer molar incluido

Varias publicaciones han valorado los trabajos de investigación que distintas universidades han efectuado sobre la patología y la cirugía del tercer molar. En concreto, un artículo del British Journal of Oral and Maxillofacial Surgery, publicado en el año 2021, destaca que de los 11.477 autores que han publicado trabajos sobre este tema, el Prof. Dr. Cosme Gay Escoda es el autor con más publicaciones y con el índice h más alto.

Por otro lado, en otro artículo del J ournal of Stomatology and Oral and Maxillofacial Surgery del año 2022 se resalta que el país que más publica sobre el tercer molar es Estados Unidos, y las universidades más productivas son

la Universidad de Barcelona y la Universidad de Carolina del Norte.

El equipo de Cirugía Bucal e Implantología de la Universidad de Barcelona, y su grupo consolidado de investigación de «Patología y Terapéutica

Odontológica y Maxilofacial» del Instituto de Investigación Biomédica de Bellvitge, estuvo dirigido durante años y hasta su reciente juilación por el Prof. Dr. Cosme Gay Escoda. El testigo lo ha recogido el Prof. Dr. Eduardo Valmaseda Castellón. El trabajo incesante de este grupo le ha permitido posicionarse en un lugar muy destacado a nivel mundial en el estudio de la patología y la cirugía del tercer molar. ●

NOTICIAS DE ACTUALIDAD

SE MOSTARON NOVEDADES EN LAS TÉCNICAS ODONTOPEDIÁTRICAS

La XLIV Reunión Anual de la SEOP reúne a 500 profesionales en Castellón

áreas de actuación: Cariología, Ortodoncia interceptiva y tratamiento pulpar. Además, se organizaron actividades paralelas en determinados momentos de la reunión anual, como cuatro talleres teórico-prácticos.

«Se trata del primer congreso nacional del área de la Odontología que se ha celebrado en la ciudad de Castellón, lo que es un orgullo y una gran oportunidad para realizar esa necesaria puesta en común de la patología del paciente infantil desde los distintos puntos de vista de la Odontología pediátrica», destacó Marta Ribelles, presidenta del congreso.

Del 11 al 13 de mayo, la XLIV Reunión

Anual de la Sociedad Española de Odontopediatría ofreció un programa multidisciplinar con 11 ponencias, tres cursos y tres mesas redondas, al que se sumaron 31 ponentes nacionales e internacionales.

Durante las tres jornadas, 31 ponentes destacados por su prestigio profesional a nivel nacional e internacional en las distintas áreas de dedicación ligadas al ámbito de la Odontopediatría, entre los que se incluyen figuras como las de las doctoras Margherita Fontana y Jenny Abanto, compartieron los avances de nuevas técnicas preventivas, terapéuticas y diagnósticas que hacen posible intervenir, de manera precoz y efectiva, para minimizar las secuelas de las enfermedades orales en el crecimiento y desarrollo del niño.

El Comité Organizador, tras seis años de intenso trabajo, diseñó un programa científico «variado, de alto nivel y carácter multidisciplinar», en el que destacaron tres

Asimismo, se contó con la participación activa de los congresistas en más de 100 comunicaciones libres y pósteres y se celebró un curso para más de 50 higienistas sobre protocolos de actuación en atención temprana en Odontopediatría.

El acto inaugural se celebró el jueves 11 de mayo y contó con la asistencia de la concejala de Salud Pública del Ayuntamiento de la ciudad, Isabel Granero; el presidente de la Conferencia de Decanos de Facultades de Odontología, Luis Giner; Marta Ribelles y Asunción Mendoza, presidentas del Congreso y de SEOP, respectivamente; y de la presidenta del Colegio Oficial de Dentistas de Castellón, Salomé García.

«La celebración de esta Reunión Anual ha supuesto un gran trabajo para todo el Comité Organizador y Científico, pero podemos sentirnos muy satisfechos, ya que ha resultado un verdadero éxito. Todos los participantes han disfrutado del programa científico, pero destacan el gran ambiente «de germanor» que se respiraba en toda su celebración, al igual que la gastronomía servida durante toda la celebración. SEOP Castellón quedará en la memoria de todos nosotros», concluyó Marta Ribelles, presidenta del Congreso. ●

Gaceta Dental · N o 358 | Junio/Julio 2023 184 NOTICIAS DE ACTUALIDAD
El comité organizador durante el acto inaugural de la XLIV Reunión Anual de la Sociedad Española de Odontopediatría. Imagen: cedida por SEOP.

AYUDA A LOS DOCTORES A DISEÑAR CON UN ENFOQUE INTEGRAL

Invisalign Smile Architect™, planificación de tratamientos orto-restauradores

tiempo real y análisis de la masa dental.

El nuevo software de planificación de tratamientos orto-restauradores

Invisalign Smile Architect™ combina la planificación ortodóncica y restauradora en una única plataforma. Proporciona a los doctores un único ecosistema para la planificación facialmente guiada del tratamiento ortodóncico y restaurativo.

El software aprovecha las visualizaciones mejoradas para que los planes de tratamiento complejos y de varios pasos sean fáciles de entender para los pacientes, inspiren la aceptación del tratamiento y logren que los doctores alcancen sus objetivos de diseño de sonrisa deseados con mayor predictibilidad. Con la herramienta ClinCheck In-Face Visualization, los doctores reciben una representación facial que pueden utilizar para planificar el tratamiento y ayudar a los pacientes a visualizar su sonrisa tras el tratamiento con Invisalign® y el tratamiento dental restaurador.

Incluye varias funciones nuevas: modificaciones 3D específicas para restauración, visualización multicapa -orto y restaurativa-, planificación del tratamiento en

De este modo, el nuevo software puede transformar la planificación digital del tratamiento al proporcionar a los doctores una mayor flexibilidad, coherencia de las preferencias de tratamiento y capacidades de acceso y modificación del plan de tratamiento en tiempo real. Esto permite a los doctores planificar el caso con el objetivo final restaurativo en mente, en armonía con el rostro de los pacientes, y permitir excelentes resultados preservando la estructura dental sana.

«Invisalign Smile Architect™ es una nueva herramienta digital de planificación de tratamientos que me permite planificar mis tratamientos con un enfoque de Odontología mínimamente invasiva, y visualizar no solo el resultado potencial, sino todos los pasos intermedios. Ofrece una nueva dimensión a la restauración dental. Por ejemplo, si necesito enderezar los dientes y reconstruir algunas coronas, puedo planificar ambos tratamientos al mismo tiempo utilizando el software Invisalign Smile Architect™», explica el Dr. Christian Bitar, quien tuvo la oportunidad de participar en el piloto del software Invisalign Smile Architect™ en 2022.

«Es también una eficaz herramienta de comunicación con mis pacientes porque les ayuda a visualizar cuál será el resultado final de su tratamiento orto-restaurativo. Y es que, Invisalign Smile Architect™ nos permite mostrar en una sola plataforma cómo serán los resultados de un tratamiento de ortodoncia, de restauración, o de ambos», añade.

Si necesitas más información sobre Invisalign Smile Architect puedes visitar https:// www.invisalign.es/gp/invisalign-solutions/ smilearchitect ●

Gaceta Dental · N o 358 | Junio/Julio 2023 185 NOTICIA DE EMPRESA
Sistema Invisalign Smile Architect™.

EL PROF. FEDERICO HERNÁNDEZ ALFARO NOS DETALLA SUS CLAVES

Planificación de cirugías faciales y ortognáticas, gracias a la Barcelona Line

El Prof. Hernández Alfaro y su equipo de investigación han diseñado y publicado la «Barcelona Line», una técnica muy efectiva entre los pacientes con apnea obstructiva del sueño que permite decidir dónde colocar el maxilar y la mandíbula en el paciente, produciendo un incremento notable en su vía aérea y, simultáneamente, mejorando su estética facial.

—Prof. Hernández, acaba de publicar, junto a su equipo de investigación, la «Barcelona Line», una guía de diagnóstico y planificación quirúrgica en cirugía ortofacial. ¿En qué consiste exactamente esta investigación? ¿Cuál es el objetivo que persigue?

—El objetivo de este estudio ha sido validar de manera transversal e interracial una nueva referencia que sirva para planificar el tratamiento estético y funcional respiratorio de las alteraciones del esqueleto facial.

Fue en el año 2010, al desarrollar su propia guía ortofacial, cuando creó este novedoso método. ¿Por qué lo llevó a cabo? ¿Cuál fue su motivación?

Yo estaba preocupado, ya que ninguno de los sistemas de análisis cefalométricos existentes me permitía diagnosticar y planificar correctamente los problemas estéticos y funcionales derivados de la malposición del complejo maxilomandibular de acuerdo a los estándares de belleza contemporáneos. Estos cánones son muy distintos de los existentes del siglo pasado, cuando se

Gaceta Dental · N o 358 | Junio/Julio 2023 186 NOTICIAS DE ACTUALIDAD
El Prof. Federico Hernández Alfaro, catedrático de Cirugía Maxilofacial. Imagen: cedida por el Prof. Federico Hernández Alfaro.

desarrollaron los análisis cefalométricos clásicos. En aquella época, la estética predominante era la caucásica como antagónica de la hispánica, negra o asiática. Los conceptos de estética facial, en la actualidad, tienen que ver más con el mestizaje y los rostros que hoy consideramos más atractivos: mixtos con preponderancia de rasgos hispánicos. Por otra parte, no existía ninguna referencia facial que resultara útil en la reposición maxilomandibular como único tratamiento potencialmente curativo de la apnea obstructiva del sueño. Eso hacía que, en muchos casos, se sobreproyectara este complejo de maxilar y mandíbula, provocando caras simiescas. Es decir, se curaba el problema respiratorio, pero se estropeaba la cara.

—Desde su creación, «Barcelona Line» se ha ido testando en cientos de pacientes. ¿Cómo ha sido la evolución de la técnica y cómo está siendo adaptada por la comunidad médica internacional?

—He venido usando esta referencia que publiqué en 2010 en más de 2.000 pacientes. Tengo claro desde hace mucho tiempo -y así lo transmito a mis alumnos, visitantes y audiencia en los congresos- que ésta es una referencia absoluta en planificación estética y funcional de la cara.

—«Barcelona Line» está resultando muy efectiva, sobre todo, entre los pacientes con apnea obstructiva del sueño, un trastorno que afecta a gran parte de la población adulta.

¿De qué forma les ayuda? ¿Cómo mejora esta técnica su calidad de vida a estos y al resto de pacientes?

—Esta referencia nos permite decidir dónde colocar el maxilar y la mandíbula en un paciente con SAOS, sabiendo que se producirá un incremento notable en su vía aérea y, simultáneamente, mejorará su estética facial.

—¿Cuáles son las principales ventajas que aporta esta herramienta al cirujano maxilofacial? ¿Cuál diría que es la clave de su éxito?

—Es una herramienta sencilla que permite un análisis de la proyección facial de perfil a partir de una fotografía de la cara en posición natural de reposo. Sin tener que hacer ninguna radiografía, el cirujano y el ortodoncista pueden tener una orientación inmediata sobre el problema y la posible solución.

—Por otro lado, esta técnica también ha supuesto una nueva forma de ver la belleza facial y ha ofrecido a los pacientes una guía nueva para analizar su rostro en el momento. ¿De qué forma, gracias a este procedimiento, los pacientes pueden entender mejor cómo se ve su rostro y decidir qué cambios estéticos desean hacer?

—Esta es una de las grandezas de la «Barcelona Line». Permite que el propio paciente haga un autoanálisis de su cara y pueda entender fácilmente si tiene o no una alteración en la posición horizontal de su maxilar y/o mandíbula que puedan estar condicionando una alteración estética y/o funcional respiratoria.

—Por último, ¿se ha incorporado ya la guía a la docencia reglada?

—Sí, ya la hemos incorporado de facto a la docencia. La enseñamos a nuestros alumnos de grado en la UIC, y también en nuestros programas internacionales de postgrado. Todos los cirujanos que nos visitan procedentes de todo el mundo aprenden a usar la «Barcelona Line» en el diagnóstico y planificación de los casos. Por otro lado, esta misma referencia es útil en el análisis y tratamiento ortodóncico y prostodóncico para decidir dónde colocar el incisivo superior. ●

Gaceta Dental · N o 358 | Junio/Julio 2023 187 NOTICIAS DE ACTUALIDAD
«Barcelona Line permite decidir dónde colocar el maxilar y la mandíbula en un paciente con apnea obstructiva del sueño»

JAVIER ABASCAL Y CÉSAR EZQUIETA, FUNDADORES

Bioinnovación Dental nace en 2006 en Pamplona de la mano de dos protésicos dentales, Javier Abascal y César Ezquieta. Por aquel entonces, ambos tenían ya cerca de 20 años de experiencia con sus propios laboratorios, lo que les aportaba una visión del sector eminentemente práctica y cercana. Hoy, casi 20 años después, hablamos con ellos del presente y futuro de la compañía.

—¿Cómo definirían Bioinnovación Dental?

—Fundamos Bioinnovación Dental con el propósito de mejorar la salud y la calidad de vida de las personas, ofreciendo soluciones en estructuras protésicas dentales fresadas y sinterizadas de la más alta calidad del sector. Desde su fundación, lo vivimos en base a cinco

valores: atención al cliente, especialistas, personas, innovación y tecnología y, por último, calidad. Los tres primeros están relacionados con el equipo que formamos Bioinnovación Dental (compuesto por protésicos e ingenieros), el cual, además, es lo que más valoran nuestros clientes. Por eso, nuestro lema es «Your Digital Odontology Team»; porque somos parte del equipo de nuestros clientes.

— Han citado también la calidad. ¿Por qué se diferencian en este aspecto?

Porque la calidad es algo que se busca, no se improvisa. La receta que utilizamos es sencilla: materia prima, maquinaria, terminaciones y el control de calidad a cada unidad producida. El conjunto de estos cuatro aspectos hace que el ajuste pasivo de cada uno de nuestros productos sea máximo, siendo así garantía de calidad total, precisión y fiabilidad. Todos nuestros productos son revisados al

Gaceta Dental · N o 358 | Junio/Julio 2023 188
ENTREVISTA DE EMPRESA
«Fundamos Bioinnovación Dental con el fin de mejorar la salud de las personas»
En la imagen, de izda. a dcha.; Javier Abascal y César Ezquieta. Imagen: cedida por Bioinnovación Dental.

microscopio antes de ser enviados a nuestros clientes.

—Llevan la innovación hasta en el nombre. ¿Cómo de innovadores son?

—En nuestros orígenes fuimos el centro de referencia nacional de la multinacional 3M ESPE para el desarrollo del sistema LAVA, que revolucionó el sector con su solución estética de zirconio. Más tarde hicimos un desarrollo propio de sinterizado mecanizado denominado

«Sintex®», que es uno de los productos estrella de la empresa. Posteriormente, hemos ido incorporando a nuestro catálogo todo tipo de materiales de última generación, desde estructuras fresadas en titanio, cromo-cobalto y materiales estéticos como el disilicato del litio o, nuestro último lanzamiento, «Biofit», que aúna una barra fresada de titanio anodizado, con una sobre-estructura de zirconio y ahora mismo es lo más evolucionado en rehabilitaciones dentales. Por último, conscientes de la importancia de la formación continua, acabamos de lanzar Bioinnovación Dental Academy; formación en CAD muy práctica, impartida por los más expertos de nuestro equipo, que está teniendo una gran acogida.

Y, pensando en el futuro, ¿qué quiere ser Bioinnovación Dental?

Nosotros queremos continuar siendo lo que somos: un centro de fresado que aspira a ser una empresa reconocida y de referencia en Europa, en soluciones odontoprotésicas de máxima calidad, basado en la innovación, con un trato personalizado y un servicio de excelencia. ●

MÁS INFORMACIÓN

¿Dónde está?

Polígono Industrial Mutilva, Calle V, Nave 24.

31192 Mutilva (Navarra).

¿Quieres saber más?

Tel: 948 277 430

https://bioinnovaciondental.com/

Gaceta Dental · N o 358 | Junio/Julio 2023 189
ENTREVISTA DE EMPRESA
«Queremos continuar siendo un centro de fresado que aspira a ser una empresa de referencia en Europa»
Diseño CAD. Imagen: cedida por Bioinnovación Dental. Comprobación de piezas al microscopio. Imagen: cedida por Bioinnovación Dental.

Nace el Club de Socios de Gaceta Dental

¿Quieres posicionarte en el top of mind del sector dental? Si tu respuesta es “sí”, el Club de Socios para empresas de GD es para ti. Queremos impulsar tu marca poniendo nuestros canales de comunicación a tu disposición para que tengas una presencia continuada en el tiempo.

El año 2023 ha llegado cargado de cambios en el mundo de la información y los contenidos. La irrupción de la IA en nuestros mercados y la continuada tendencia de consumo de información en soportes digitales (con récords de uso de smartphones como principal medio de lectura, según datos de Statista) dibujan un escenario con una audiencia más diversa que nunca.

CIFRAS RÉCORD

2022 fue el mejor año de la historia de Gaceta Dental en audiencia digital con más de 3,2 millones de sesiones (Google Analytics), y a la vez nuestra percepción es la de que los eventos presenciales y el canal print siguen siendo muy valorados por estar exentos de los sobreestímulos del mundo digital.

Por eso, este Club de Socios nace para garantizar que las marcas ambiciosas tengan un impacto perenne en esos 3 canales: digital, papel y eventos, a lo largo de un periodo de tiempo continuado y no aislado.

Por eso, más allá de los beneficios directos que formar parte del Club de Socios reportará a nuestros clientes, pertenecer a este grupo dará a sus miembros descuentos únicos en todos los productos publicitarios que organice Gaceta Dental, con especial énfasis en la gran gala de los Premios GD.

BENEFICIOS DIRECTOS

• Aparición en la guía de proveedores gacetadental.com

• Logo en la sección de socios de gacetadental. com linkado a tu web (enlace do-follow)

• 2 entradas exclusivas a los Premios GD

• Logo en la sección de Colaboradores de los Premios GD linkado a tu web

• Presencia como Colaborador en las comunicaciones de los Premios GD

• Merchandising en la bolsa oficial de los Premios GD

• Banner en gacetadental.com durante un mes

• Branding en la revista GD (difusión en print y digital). ●

¿QUIERES MÁS INFORMACIÓN?

El QR que acompaña este texto te llevará a la página en la que puedes contactarnos y descubrir a todas las empresas que ya han apostado por unirse a nuestro Club.

190 Gaceta Dental · N o 358 | Junio/Julio 2023
NOTICIA DE EMPRESA UNA
HERRAMIENTA PARA IMPULSAR TU MARCA
DROIDENT TOP LABORATORIO DENTAL WORKFLOW DIGITAL CORONA SOBRE IMPLANTE ZIRCONIO MONOLÍTICO CORONA SOBRE DIENTE ZIRCONIO MONOLÍTICO FERULA DE DESCARGA FRESADA C/ PERÚ, 3 19005 GUADALAJARA Telf: 949 89 44 78 www.laboratoriodroident.com 63 € 53 € 65 € PRÓTESIS + TECNOLOGÍA + DISEÑO Puedes enviarnos tus archivos STL Para cualquier consulta, te lo ponemos fácil Escríbenos 636 69 16 13 @laboratoriodroident

CONGREGÓ A MÁS DE 120 ASISTENTES

El enfoque multidisciplinario, pilar de SEDCYDO Gijón 2023

impartido por el Dr. Tomás Molina Hernández, se habló de los nuevos dispositivos que ayudan diariamente en el manejo de trastornos temporomandibulares y dolor orofacial.

Por otro lado, los fisioterapeutas tuvieron una jornada completa de charlas y prácticas impartidas por los mejores especialistas nacionales e internacionales como Heidi Gross, Jordi Padrós y Sarah Michelis.

Para el resto de profesionales, la tarde del viernes estuvo marcada por la Odontología restauradora en pacientes bruxistas con los doctores Carlos Fernández Villares, Antonio Meaños Somoza, Cristian Abad Coronel y Oriol Cantó Naves.

El Congreso de la Sociedad Española de Disfunción Craneomandibular y Dolor Orofacial (SEDCYDO), celebrado los pasados 19 y 20 de mayo en Gijón, contó con la presencia de más de 120 asistentes entre odontólogos, cirujanos maxilofaciales, fisioterapeutas y logopedas.

Durante la mañana del viernes 19, los inscritos a los dos talleres tuvieron la oportunidad de aprender de forma teórico-práctica. El primer taller, sobre las aplicaciones del PRGF (Plasma Rico en Factores de Crecimiento) en Disfunción Craneomandibular, fue impartido por los Dres. Eduardo Vázquez y Cristina Murtra, con la colaboración de BTI. En el segundo taller,

Para finalizar la tarde del viernes, y antes de la cena del Congreso, tuvo lugar el acto inaugural con la presencia del presidente de la Sociedad, Juan Manuel Prieto Setién; la presidenta del congreso, Elena González Canal; el vicepresidente del Colegio de Dentistas de Asturias, Pelayo Braña; y la alcaldesa de Gijón, Ana González, con bonitas palabras hacia la especialización que realizan los miembros de Sociedades como SEDCYDO.

El sábado comenzó con el bloque de dolor orofacial, moderado por el Dr. Juan Manuel Prieto Setién, y en el que hablaron los Dres. Cipriano Fernández Fernández, Jordi Tomás Aliberas, José Luis de la Hoz Aizpurúa y Juan Mesa Jiménez. Para finalizar, antes de la mesa redonda, el Dr. Dominik Ettlin, llegado desde Suiza, maravilló a todos con su ponencia sobre diagnóstico y tratamiento de la neuralgia del trigémino.

El último bloque fue el de Medicina Dental del Sueño, moderado por el Dr. Vicente Wienland, y en el que participaron los Dres. Jacqueline Lisson, Carlos Cenjor, Sara Redaelli y Silvia González Pondal. ●

Gaceta Dental · N o 358 | Junio/Julio 2023 192 NOTICIAS DE ACTUALIDAD
Acto inaugural del congreso. De izda. a dcha.; Pelayo Braña, Ana González, Juan Manuel Prieto Setién y Ana González. Imagen: cedida por SEDCYDO.

Excelentes Resultados en menos tiempo

El sistema de matrices seccionales HALO le permite hacer restauraciones de composite anatómicamente contorneadas, de una manera muy sencilla y en muy poco tiempo.

ULTRADENT.ES | info@ultradent.es 696 616 752 Área Norte - 616 982 237 Área Levante - 699 888 731 Área Centro

DURANTE TRES DÍAS DE CELEBRACIÓN

Más de 350 profesionales asisten al Congreso de la SEMO

Del 25 a 27 de mayo de 2023 se celebró, de manera conjunta, el Congreso de la Sociedad Española de Medicina Oral y la XVIII Reunión de la Academia Iberoamericana de Patología y Medicina Bucal, cuyo comité organizador estuvo presidido por el profesor Andrés Blanco Carrión.

Durante tres días de celebración, se desarrollaron talleres clínicos, sesiones clínico–patológicas y conferencias magistrales a cargo de prestigiosos ponentes como Elena Varoni, Ángel Carracedo, Miguel Ángel Rodríguez Moles, Guillermo Concha, José Vicente Bagán, Abel García García o Enric Jané Salas.

Igualmente, en la plaza del Obradoiro,el primer día del Congreso se desarrolló un proyecto de innovación educativa en colaboración con la Asociación Española contra el Cáncer y la unidad docente de Medicina Oral de la Universidad de Santiago, cuyo objetivo

fue la concienciación ciudadana hacia la auto exploración y el control de los factores de riesgo del cáncer oral. La ceremonia inaugural, desarrollada en el auditorio de la Facultad de Medicina y Odontología de Santiago de Compostela, contó con la presencia del conselleiro de Sanidad, Julio García Comesaña; el rector de la universidad, Antonio López; el alcalde de Santiago, José Sánchez Bugallo; los presidentes de ambas sociedades científicas; una representación de los colegios profesionales de Galicia; y el presidente del Congreso, el Dr. Blanco Carrión, quién describió en su discurso de bienvenida a este Congreso como una confluencia de caminos, que al igual que el de Compostela, consiguió convocar a numerosos profesionales procedentes de varios países iberoamericanos, y a una nutrida representación de los profesionales de la Medicina Oral del ámbito clínico y universitario.

En la zona expositiva estuvo presente la Tienda Gaceta Dental, ofreciendo a los asistentes los más de 180 títulos editoriales en diferentes campos de la Odontología. ●

Gaceta Dental · N o 358 | Junio/Julio 2023 194 NOTICIAS DE ACTUALIDAD
Durante el congreso, los asistentes pudieron escuchar ponencias sobre diferentes temas como la displasia epitelial, la patología ósea y el cáncer bajo múltiples aspectos. Imagen: cedida por ICOEC.

LOS PASADOS 18, 19 Y 20 DE MAYO

El Oral Reconstruction Global Symposium

La Oral Reconstruction Foundation (OR Foundation), en colaboración con BioHorizons Camlog, celebró los pasados 18, 19 y 20 de mayo el Oral Reconstruction Global Symposium 2023 en Roma.

El simposio, liderado por un comité científico excepcional formado por el actual presidente del ORGS23, el Dr. Luca Cordaro; el Prof. Dr. Juan Blanco, catedrático de la Universidad de Santiago de Compostela; el Dr. Dehua Li; el Dr. Michael Stimmelmayr; la Dr. Irene Sailer; el Dr. Anton Sculean; y el Dr. Homa Zadeh, reunió a los principales expertos en el campo de la cirugía regenerativa y la Implantología para ofrecer un programa educativo emocionante con una serie de actividades prácticas.

MORNING WORKSHOPS

Durante la jornada del jueves 18 de mayo se celebraron cinco talleres simultáneos y dos charlas teóricas. El primero de los talleres corrió a cargo de los Dres. Vicent Fehmer y Mattero Cordaro, bajo el título «Flujo digital en prótesis para restauraciones de arcadas completas»; el segundo estuvo liderado por el Dr. Joao Pitta y la Dra. Christina Zarauz sobre el «Concepto One – Crown, On-time»; y el tercero, con el Dr. Luca de Stavola, que trató «El abordaje digital en procedimientos de aumento óseo: desde la recolección de hueso, hasta la técnica de Khoury digitalmente guiada».

Asimismo, el cuarto y quinto taller estuvieron liderados por los Dres. Andrés Pascual y Frank Schwarz, respectivamente, los cuales se enfocaron en la regeneración y aumento de tejidos blandos. Las charlas teóricas contaron con la participación de los Dres. Gergard Iglhault

196 Gaceta Dental · N o 358 | Junio/Julio 2023
NOTICIA DE EMPRESA
2023 reúne a más de 1.000 profesionales
De izda. a dcha., los doctores Ramón Gómez Meda, Homa Zadeh, Luca Cordaro, Ronald E-Jung y Mauricio Araujo.

y Homa Zadeh, con temas que abarcaron desde la necesidad de aumentar el tejido blando alrededor de dientes e implantes hasta la optimización del espacio para el tratamiento con alineadores.

DE LA PLANIFICACIÓN DEL TRATAMIENTO AL AUMENTO DE TEJIDOS ÓSEOS

El viernes 19 dio comienzo el programa principal del simposio, con unas palabras introductorias del Dr. Luca Cordaro. Tras la presentación del presidente de la OR Foundation, se dio inicio al programa científico, que incluía sendas conferencias magistrales presentadas por un potente panel de expertos.

Estos últimos abordaron temas que hacían alusión al título del evento: «Quo vadis implant dentistry?». En sus conferencias se trataron temas desde el futuro de la Implantología hasta

las nuevas tendencias hacia las cuales se dirige el sector.

En concreto, la Dra. Katja Nelson, el Dr. Dehua Li y el Dr. Florian Beuer hablaron sobre la «Planificación del tratamiento en la era digital»; y el Dr. Homa Zadeh expuso las «Fases del tratamiento con implantes», en colaboración con el Dr. Mauricio Araujo, el Dr. Ronald E. Jung y el Dr. Ramón Gómez Meda. Una de las sesiones estuvo liderada por el Dr. Mariano Sanz bajo el título «Tratamiento de defectos de tejido blando: ¿contamos con innovaciones relevantes?», donde la participación de los Dres. Ignacio Sanz Martín, S. Marcus Beschnidt y Anton Sculean tuvo una relevancia absoluta. En esta misma jornada, también se celebró el «Science Slam»

Tras la pausa de la comida, arrrancó la sesión titulada «Restauraciones implantosoportadas CAD/CAM. ¿Son un must?», liderada por los Dres. Irena Sailer, Jan Frederik Güth, Cristina Zarauz, Joao Pitta y Julián Conejo.

La entrega de premios del « Science Slam» tuvo lugar al finalizar la jornada, para, a continuación, celebrar la Dolce Vita Night.

COMPROMISO CON LA INVESTIGACIÓN

Para finalizar el simposio, el sábado, tras un discurso de Martin Schuler, director ejecutivo de la OR Foundation, quien reiteró el compromiso de la organización con la investigación, la formación continua y el apoyo a científicos jóvenes; comenzó la segunda parte del programa, donde los temas protagonistas fueron: «¿Podemos influenciar la cicatrización de tejidos duros y blandos alrededor de implantes?» (Dr. Luca Cordaro, Dr. Hom-Lay Wang, Dra. Ana Torres y Dr. Marius Steigman); «¿La tecnología digital es realmente de ayuda para el cirujano implantólogo?» (Dr. Juan Blanco, Dr. Tiziano Testori, Dra. Tali Chackartchi y Dr. Bilal Al-Nawas); y «Aumento de tejidos óseos con abordaje convencional» (Dr. Michael Stimmelmayr, Dr. Fouad Khoury, Dra. Tara Aghaloo y Dr. Juan Blanco).

El Dr. Luca Cordaro, presidente de la cita científica, y como punto final de la misma, pronunicó unas palabras para agradecer a todos los asistentes y ponentes su presencia. ●

197 Gaceta Dental · N o 358 | Junio/Julio 2023
NOTICIA DE EMPRESA
El evento congregó a más de 1.000 asistentes. La entrega de premios del «Science Slam» tuvo lugar al finalizar la jornada del viernes.

EL PRÓXIMO 14 DE SEPTIEMBRE

Ultimando los detalles para la celebración de los 26 Premios GD

en el panorama odontológico castellanomanchego en los últimos doce años gracias a su trabajo y a unos cimientos sólidos y estables basados en la experiencia, la reputación y la confianza. Desde entonces, el grupo ha abierto diferentes sedes en la comunidad manchega y también en la Comunidad de Madrid.

DOCE CATEGORÍAS DIVIDIDAS EN CUATRO BLOQUES

•Premios GD Profesionales: Premio GD Mejor Artículo Científico, patrocinado por Zarc4Endo; y Premio GD Mejor Caso Clínico.

•Premios GD Estudiantes: Premio GD Mejor Talento en Odontología; Premio GD Talento en Prótesis Dental, patrocinado por Ivoclar; y Premio GD Mejor Talento en Higiene Dental.

Estamos a punto de cerrar candidaturas, y nuestros jurados se van a poner manos a la obra para decidir quiénes se alzarán con los galardones de los 26 Premios Gaceta Dental. ¿Serás uno de ellos?

El 14 de septiembre, el Teatro Goya de Madrid servirá de escenario para la celebración de la gala de los 26 Premios GD, un evento que reúne, año tras año, a destacados representantes del sector dental, y donde se reconoce la excelencia. Más de 300 invitados se congregarán en una edición en la que se potenciará el networking y la conexión entre profesionales.

La 26 edición de los Premios Gaceta Dental está patrocinada por Catalano Clínicas, una empresa que ha logrado hacerse un nombre

•Premios GD Innovación y Gestión: Premio GD Mejor Clínica o Laboratorio Digital, patrocinado por Aragoneses CPD; Premio GD Mejor Avance Tecnológico, patrocinado por Talentua; Premio GD Mejor Gestión Clínica, patrocinado por VP20 Consultores; y Premio GD Mejor Trabajo en Comunicación y Marketing, patrocinado por Inspiria.

•Premios GD Sociedad y Cultura: Premio GD Proyecto Solidario; Premio GD Mejor Relato Corto, patrocinado por Orascoptic; y Premio GD Mejor Libro del Año.

Y, como siempre, el Premio Especial GD, galardón concedido a profesionales u organizaciones que han destacado en el último año por su actividad profesional dentro del sector dental.

¡Empieza la cuenta atrás para conocer a los ganadores! ●

Gaceta Dental · N o 358 | Junio/Julio 2023 198 NOTICIAS DE ACTUALIDAD
26
edición de los Premios Gaceta Dental.

DRA. DUBRAVKA KNEZOVIĆ ZLATARIĆ

«VITA Easyshade LITE facilita la determinación del color dental»

En la actualidad, VITA Easyshade LITE permite a consultas y laboratorios determinar de manera rápida, sencilla y precisa el color dental en las más diversas situaciones clínicas. Para conocer más sobre este nuevo instrumento y su procedimiento, nos hemos reunido con la Dra. Dubravka Knezović Zlatarić.

—¿Cuáles son las ventajas generales de la determinación digital del color dental mediante la tecnología VITA Easyshade? ¿Qué retos ayuda a superar el espectrofotómetro?

—Por regla general, un espectrofotómetro VITA facilita el trabajo de los odontólogos y protésicos dentales. Estos aparatos constituyen una extraordinaria ayuda a la hora de determinar de manera rápida, sencilla y precisa el color dental en las más diversas situaciones clínicas. En particular, cuando se trata de

restauraciones cerámicas de dientes individuales, como carillas o coronas, en la zona estética. En la actualidad, está científicamente demostrado que los espectrofotómetros VITA Easyshade determinan el color dental con mayor precisión que el ojo humano, ya que esta tecnología no depende de factores externos tales como la luz ambiental o la percepción subjetiva del color, ni está sujeta a trastornos de la percepción del color, a la fatiga ocular ni al margen de error general de los usuarios.

¿Qué hace especial al nuevo VITA Easyshade LITE? ¿Dónde residen los puntos fuertes de este espectrofotómetro y por qué pueden los usuarios celebrar su lanzamiento?

Según el diccionario de Cambridge, el adjetivo lite describe cosas que son fáciles de entender y, de este modo, proporcionan satisfacción. Así pues, por un lado, el VITA Easyshade LITE facilitará la determinación del color dental en la clínica y el laboratorio. Por otro lado, el añadido lite se utiliza a menudo en la industria alimentaria para identificar productos bajos en calorías. Esta versión del espectrofotómetro se ha reducido a las funciones esenciales de la determinación del color dental, lo cual posibilita una atractiva relación calidad-precio. Sin embargo, proporciona la misma precisión que el VITA Easyshade V, que incorpora funciones adicionales.

—¿Cuáles son exactamente las diferencias entre el VITA Easyshade LITE y el VITA

Gaceta Dental · N o 358 | Junio/Julio 2023 200
ENTREVISTA DE EMPRESA
La Dra. Dubravka Knezović Zlatarić durante la determinación del color dental mediante el VITA Easyshade LITE.

Easyshade V? ¿Qué tienen en común ambos espectrofotómetros?

—El VITA Easyshade LITE es una variante más sencilla de su hermano mayor, el VITA Easyshade V. Básicamente coinciden en su función principal; esto es, la determinación del color dental básico en los dientes naturales y la representación de los resultados de medición en la pantalla en los estándares de color VITA SYSTEM 3D-MASTER y VITA classical A1-D4. Mediante un claro sistema de semáforo se indica la medida en que el color determinado se desvía de estos dos estándares de color VITA o si coincide exactamente con ellos. El VITA Easyshade LITE no incorpora herramientas adicionales para el análisis cromático numérico exacto.

—¿Podría describir con mayor detalle este sistema de semáforo? ¿Cómo se indica el color dental en la pantalla del VITA Easyhade LITE?

—En la determinación del color dental no se trata únicamente del resultado numérico, sino también de la manera en que se representa el color dental de forma comprensible para cualquier usuario. El VITA Easyshade LITE informa del resultado de la medición mediante un sistema de semáforo muy intuitivo, que muestra de un vistazo el grado de coincidencia cromática. La coincidencia perfecta con los estándares de color VITA se representa en verde, una desviación aceptable en amarillo y una desviación considerable en rojo. Si el color medido está marcado en rojo, es decir, está muy alejado de ambos estándares de color VITA, se muestra información adicional tan solo para la modificación selectiva de la claridad y la tonalidad cromática.

—¿Para quién es el VITA Easyshade LITE la opción ideal? ¿Pueden combinarse también el VITA Easyshade LITE y el VITA Easyshade V?

—El VITA Easyshade LITE está concebido para que todos los odontólogos y protésicos dentales determinen con precisión el color dental básico de los dientes naturales en su trabajo diario y puedan confeccionar así restauraciones cerámicas cromáticamente armonizadas con

el perfect match. En casos muy complicados, donde es necesario determinar un color dental promedio y desglosarlo numéricamente en claridad, saturación cromática y tonalidad cromática para seleccionar la pieza en bruto cerámica adecuada, recomiendo utilizar adicionalmente el VITA Easyshade V. Sobre todo cuando es preciso comprobar el efecto cromático de restauraciones cerámicas o controlar el cambio de color de los dientes naturales durante un tratamiento de blanqueamiento.

—¿Cómo transcurre el proceso de determinación del color dental con el VITA Easyshade? ¿Quién puede utilizarlo para determinar el color dental?

—La determinación del color dental con ambas variantes del VITA Easyshade es extremadamente sencilla. Basta con apoyar, de modo que quede lo más plana posible, la sonda de medición sobre la superficie de esmalte con dentina subyacente. A continuación, se pulsa el botón de medición y ya se muestra en la pantalla la información sobre el color dental. Además, a mi parecer, es importante que el color dental sea determinado por la persona que vaya a confeccionar posteriormente la restauración, que no es otra que el protésico dental. Ahora bien, todas las personas que participen en el proceso de restauración deberían conocer el procedimiento de determinación del color dental y su documentación. Por consiguiente, tanto los odontólogos como el personal auxiliar deberían recibir también la formación oportuna. El VITA Easyshade LITE facilita al máximo este proceso. ●

Gaceta Dental · N o 358 | Junio/Julio 2023 201
ENTREVISTA DE EMPRESA
«En la actualidad, está científicamente demostrado que los espectrofotómetros VITA Easyshade determinan el color dental con mayor precisión que el ojo humano»

CON MÁS DE 5.000 ASISTENTES

Sepa23+FIPP Sevilla 2023, punto de encuentro de la Periodoncia y salud bucal

e innovador, con un programa cient í fico oficial y otras actividades paralelas dise ñ adas pa ra la interacci ó n e inte rcambio de conocimiento, con el fin de seguir impulsando el avance de la Periodoncia y la Odontolog í a, así c omo el compromiso con la promoci ó n de la sa lud bucal y general.

«Este encuentro internacional va a ser el más importante del año en habla hispana: por número de asistentes, por la variedad temática y por el prestigio de los ponentes», auguró el Dr. Alberto Monje, vocal de SEPA en la presentación del congreso. Y es que, tal y como detalló el Dr. José Nart, presidente de SEPA, esta reunión integró «cinco congresos o itinerarios formativos monográficos sobre Periodoncia, Interdisciplinar, Odontología Digital, Prevención e Higiene y Gestión de la consulta dental».

Con cinco itinerarios formativos

ajustados a las principales áreas de interés y demanda informativa de los profesionales de la salud bucal, el Congreso conjunto Sepa23+FIPP organizado por la Sociedad Española de Periodoncia y Osteointgración (SEPA) y la Federación IberoPanamericana de Periodoncia (FIPP) y celebrado en Sevilla del 31 de mayo al 3 de junio, congregó a más de 5.000 asistentes.

Dentistas especializados, dentistas generalistas, estudiantes de posgrado y de grado, higienistas, auxiliares de cl í nica , gestores, personal administrativo, investigadores, educadores y representantes del sector dental, as í com o personal de farmacias y otros profesionales de la salud, se dieron cita en este encuentro único

En la misma línea, el Dr. Gustavo Ávila , coordinador cient í fico del Congreso, reconoció que «la colaboraci ó n de Sepa y FIPP hacen que esta haya sido una cita muy importante, ú nica y diferencial. Este puede erigirse, por muchos motivos, en uno de los congresos cient í ficos m á s relevantes a nivel mundial que se celebren este a ñ o en el ca mpo de la Periodoncia y la Implantolog í a dental».

Así, entre los temas que se abordaron durante las cuatro jornadas del congreso, se actualizaron conocimientos sobre el manejo de los tejidos blandos alrededor de dientes e implantes, las implicaciones y tratamiento de las enfermedades periodontales más relevantes (que afectan a 8 de cada 10 personas adultas en España), se presentaron avances en enfermedades periimplantarias, se mostraron nuevos tratamientos mínimamente invasivos y se discutieron las posibilidades de la colaboración e integración de distintas disciplinas odontológicas para optimizar

Gaceta Dental · N o 358 | Junio/Julio 2023 202 NOTICIAS DE ACTUALIDAD
El Congresó congregó a más de 5.000 asistentes. Imagen: cedida por SEPA.

resultados clínicos y el bienestar del paciente.

También se presentaron evidencias sobre el impacto de las enfermedades de las encías en la salud general, mostrando cómo la periodontitis se asocia, directa e indirectamente, con la diabetes, algunas enfermedades cardiovasculares, resultados adversos del embarazo o el riesgo de padecer enfermedades neurológicas tan frecuentes como el ictus o el Alzheimer. Todos estos aspectos se analizaron en el Simposio de la Alianza por la Salud Bucal y General, que aglutinó a decenas de sociedades científicas médicas y odontológicas, así como a otras instituciones sanitarias relevantes.

CIRUGÍAS EN DIRECTO

Por otro lado, este encuentro de Sepa+FIPP 2023 contó con varias cirugías de la mano de líderes mundiales. En concreto, resaltó la cirugía en directo que protagonizó Giovanni Zucchelli, y que abrió el programa científico oficial. En su intervención, el experto italiano mostró el tratamiento de una dehiscencia mucosa periimplantaria, en una sesión donde también participaron Nelson Carranza y Alejandra Chaparro. También destacó el innovador abordaje quirúrgico que mostró el Dr. Ignacio Sanz Sánchez, resumiendo algunas experiencias significativas que recogen importantes avances en el manejo mínimamente invasivo de un defecto de periimplantitis.

PROMOSALUD: NUEVOS HORIZONTES

Asimismo, se dieron a conocer los objetivos,

progresos y nuevos pasos a dar de la iniciativa pionera puesta en marcha por la Fundación SEPA. Promosalud, que cuenta con el apoyo de Dentaid, es un programa gratuito para las más de 22.000 clínicas dentales que hay en España que pretende facilitar la detección precoz desde la consulta dental del riesgo de padecer diabetes o hipertensión arterial oculta. Como complemento perfecto de los distintos itinerarios formativos que tuvo el Congreso Sepa23+FIPP se contó con ExpoPerio, con más de 70 empresas e instituciones, entre ellas Gaceta Dental con sus libros especializados en Odontología. Este espacio, además de concebirse como una exposición comercial, se mostró como un punto de encuentro imprescindible para todos los congresistas y un centro neurálgico de presentaciones científicas y networking al más alto nivel.

PREMIOS

En el marco del Congreso de la Periodoncia y Salud Bucal de Sevilla se dio a conocer el Premio Fonseca Internacional 2023, la distinci ó n cient í fica m á s prestigiosa de la Sociedad Espa ñ ola de Periodoncia y Osteointegraci ó n. El artículo premiado fue «Reconstructive surgical therapy of peri-implantitis: A multicenter randomized controlled clinical trial», firmado por Jan Derks, Alberto Ortiz-Vigón, Adrián Guerrero, Mauro Donati, Eriberto Bressan, Paolo Ghensi, Dennis Schaller, Cristiano Tomasi, Karolina Karlsson, Ingemar Abrahamsson, Yuki Ichioka, Carlotta Dionigi, Erik Regidor y Tord Berglundh. Por otro lado, desde la Fundación Española de Periodoncia e Implantes Dentales se concedió el Premio Fundación SEPA Promoción de la Salud al cardiólogo andaluz Juan José Gómez Doblas y al endocrinólogo valenciano Juan Girbés Borrás. ●

ESCANEA PARA TENER MÁS INFORMACIÓN SOBRE EL CONGRESO

Gaceta Dental · N o 358 | Junio/Julio 2023 203 NOTICIAS DE ACTUALIDAD
De izda. a dcha.; Dres. Gustavo Ávila, José Nart, Alberto Monje y Paula Matesanz. Imagen: Gaceta Dental.

DRA. MARIANA ESPINASSI ALESSIO, MIEMBRO DEL COMITÉ

CIENTÍFICO DE SINEDENT

Después de dedicarse a la maternidad y tener un «impasse» por motivos personales, la Dra. Mariana Espinassi ha vuelto a la profesión con fuerza. En una de sus clínicas nos cuenta cómo

ve la profesión hoy, el rol de la mujer y hacía dónde van las nuevas tendencias, recordado que «la tecnología puede cambiar, pero la biología se mantiene».

—En 2019, después de muchos años sin ejercer, volvió a la profesión. ¿Qué encontró distinto en la Odontología?

—Durante muchos años dejé de ejercer para dedicarme a ser madre. Afortunadamente, mi alejamiento de la práctica no significó alejarme totalmente de la profesión, así que después de mi separación matrimonial, decidí volver de lleno a la carrera. Tuve que empezar de cero. Si nos asombramos por los avances que hay de un año para otro, imagínense después de tanto tiempo tener que incorporar nuevas tecnologías, técnicas y tendencias, además, de como tantas otras mujeres, de tener que conciliar. Soy madre de cuatro niños.

—Tras cuatro años de actividad, está en plena expansión y trabajando con empresas internacionales e innovadoras. ¿Cuál fue su fórmula para poder tener un crecimiento tan rápido?

—La base ha sido mucha lectura y mucho estudio. La maternidad o paternidad nos enseñan todo el tiempo a lidiar con situaciones nuevas y a adaptarnos rápidamente. En la profesión es lo mismo. Cuando tomé la decisión de volver, saliendo desde la nada, me puse tres objetivos clave: hacerlo de la mejor manera posible para que mis pacientes estuviesen siempre satisfechos; intentar saber, no para estar a la altura de los otros, sino para intentar ser una de las personas que puedan liderar el

204 Gaceta Dental · N o 358 | Junio/Julio 2023
ENTREVISTA DE EMPRESA
«Es el momento de profundizar en la influencia de la mujer dentro la profesión»
La Dra. Mariana Espinassi Alessio, en su clínica de Madrid.

cambio; y, por último, hacerlo de tal manera que pueda ser una historia de inspiración, si no para otras mujeres que hayan pasado lo que yo pasé, al menos para mis hijos, para que se puedan sentir orgullosos de su madre.

—Está hablando de la mujer y de la inspiración. ¿Siente que hay discriminación o prejuicios hacia las mujeres en la carrera?

—No, no hay una «discriminación» como tal. Pero hay muchísimas oportunidades y estamos a día de hoy subrepresentadas. Si uno ve las estadísticas de matriculación y egresados en la carrera, no solo a nivel nacional sino a nivel global, lo que fue una profesión eminentemente masculina, se está transformando en una profesión muy femenina. Sin embargo, si uno va a un congreso líder en Europa, la proporción de speakers masculinos sobre los femeninos es de más de 4:1. Y lo mismo ocurre en cargos relevantes a nivel de organizaciones y universidades.

—¿Y por qué piensa que sucede esto?

—No se trata de asegurar, sino de empoderar. De tener ejemplos, de participar. Muchas mujeres que han sido madres, que han dejado la profesión, cuando luego quieren volver a ella, consideran que su rol solo puede ser en la clínica. Y yo a mis colegas les digo que no, que se puede, que esa pasión que pusimos en la maternidad, podemos seguir fogueándola y ponerla en la profesión. Pero para eso debe haber ejemplos donde ellas se vean, gente a quien consultar, ayudas desde los mismos colegios de odontólogos para que esas profesionales puedan volver. Tenemos una visión distinta y podemos ayudar a enriquecer la profesión haciendo valer esa perspectiva. No solo en la relación con los pacientes, sino también en nuestros tratamientos.

—¿Podría darnos un ejemplo de lo que esto significa?

—Sí, y uno muy actual. Un tema muy caliente en este momento es el tratamiento de la periimplantitis. Ya nadie habla de «implantes para toda la vida». El estudio de Derks en Suecia muestra prevalencias en torno al 14,5% para

tratamientos quirúrgicos. Ese número puede ser ligeramente menor o mucho mayor, según estudios hechos por SEPA. Si lo extrapolamos a España, se podría decir que, cada año, cerca de 200.000 implantes deberán ser tratados. Y, hoy en día, aun sin datos certeros, una de las soluciones más aplicadas es, ante la progresión de la enfermedad, realizar una explantación. Aún no hay consenso en cómo tratarlo, pero la perspectiva que discutimos con nuestros grupos que se desempeñan en el área quirúrgica es intentar, siempre que se pueda, salvar el implante, evitando traumas para el paciente. Las empresas con las que intentamos trabajar traen innovaciones fundamentales.

—¿Cuál es, entonces, el rol de la mujer en la profesión?

—Estamos llamadas a ejercer cada vez más un rol más importante. No es una cuestión de capacidades, sino de estimular la participación. Amo y me apasiona trabajar en equipo, pero muchas veces echo en falta que se sumen más mujeres.

—¿Y cómo cree que eso podría impactar en el sector dental?

—No puedo generalizar, pero sí hay diferencias. Canadá encargó una serie de estudios, uno en el año 2005, donde habló de la feminización de la profesión y encontró diferencias no grandes, pero sí en impacto similares a las existentes según grupos de edad, es decir, de matices; y otro en 2012, donde se hacen patentes esas diferencias y se sugiere continuar apoyando y ajustando políticas locales para adecuarse a la participación cambiante de géneros. Otros datos y estudios que reflejan la realidad de la industria hablan de que tan solo el 14,8% de los editores de las grandes revistas científicas son mujeres.

205 Gaceta Dental · N o 358 | Junio/Julio 2023
ENTREVISTA DE EMPRESA
«El tiempo en formación siempre es la mejor inversión, pero no solo en uno, sino en el equipo de trabajo»

Por otro lado, un estudio en Estados Unidos detectó que antes del 2000 solo había dos decanos o decanos asociados mujeres en todas las universidades de Odontología del país. En los últimos 20 años, ese número aumentó a 111.

—¿Cuáles fueron los principales desafíos con los que se encontró al volver a la carrera y cómo los enfrentó?

—Comenzar a levantar una clínica de cero es, fue y será un desafío monumental. No son solo la cantidad de horas y la inversión que debe hacerse, sino, una vez hecha, esos tiempos de espera donde no hay pacientes. La cabeza trabaja a una velocidad extraordinaria en esos tiempos muertos y puede ser algo que utilicemos para bien o que, por el contrario, nos angustie. Yo aproveché ese tiempo de tres maneras distintas: para mi propia formación, para formar a mi gente y para establecer vínculos con organizaciones y proveedores que me pudieran ayudar. El tiempo en formación siempre es la mejor inversión. Pero no solo en uno, sino en el equipo de trabajo.

—Y con organizaciones y proveedores, ¿qué aportan ellos a la ecuación?

—Las organizaciones, colegios de odontólogos y las universidades son fuentes de recursos y conocimientos. Uno, con un poco de tiempo y dedicación, puede obtener mucho apoyo de colegas que están dispuestos a compartir

y difundir información y a aportar tiempo a un proyecto potente. Y con respecto a nuestros proveedores, creo que esa es un área donde nosotros estamos desperdiciando oportunidades. La gran mayoría de las innovaciones provienen de lo que llamamos «la industria» y, hasta hace no mucho, la norma eran colaboraciones importantes por parte de unas pocas empresas para hacer estudios potentes. Hoy en día, la dinámica es distinta y la innovación viene de empresas más pequeñas que buscan colaborar y validar técnicas y productos. De este modo, podemos ofrecerles a nuestros pacientes la mejor solución posible y ayudamos a colegas nuestros que, a veces, no saben cómo resolver ciertas situaciones.

—¿Cuáles son los proyectos de investigación que la seducen y en qué está trabajando?

—Donde necesitamos y veremos cambios es en el manejo de la periimplantitis y, obviamente, en la regeneración ósea. Sin hueso, las soluciones son muy limitadas y menos efectivas. Es por ello que mi foco está en estas dos últimas, donde estoy participando en trabajos de investigación y desarrollo.

—Para concluir, ¿algún consejo para otras compañeras?

—Pienso que, en la vida, es fundamental ser valiente, sacar esa fuerza interior que todos tenemos dentro para lograr lo que queremos y convertirnos en las profesionales que queremos ser. Creo que es importante, en ese proceso de alcanzar los objetivos, rodearte de los mejores profesionales, y de las mejores personas, porque son los que te ayudarán a conseguir tus propósitos. No existen los imposibles si se lucha por cumplir los sueños, poniendo todo el cariño, la pasión y la constancia ●

206 Gaceta Dental · N o 358 | Junio/Julio 2023 ENTREVISTA DE EMPRESA
CONTACTO 919 194 040 institutodentalespinassi@gmail.com
La Dra. Mariana Espinassi Alessio junto al equipo de la clínica.

SE ABORDARON TEMAS DE ESPECIAL INTERÉS PARA LA PROFESIÓN

El Consejo General de Dentistas preside la reunión de primavera de la FEDCAR

Del mismo modo, ha pedido la aplicación efectiva de la Ley de Sociedades Profesionales, según la cual, cualquier empresa dedicada a los servicios dentales debe estar en manos de dentistas y sujeta, por tanto, a principios éticos y deontológicos. Sin embargo, actualmente esta Ley, que especifica que -como mínimo- la mayoría del capital y derechos de voto debe pertenecer a socios profesionales, no tiene la aplicación pretendida al eludirse su carácter imperativo mediante la figura de las sociedades de intermediación, que permiten que el control de las clínicas pueda recaer en personas ajenas a la Odontología.

La Federación Europea de Autoridades y Reguladores Competentes en Odontología (FEDCAR) celebró en Madrid su « Spring Meeting», donde se abordaron temas como el uso del ácido hialurónico y toxina botulínica por los dentistas o la necesaria aplicación efectiva de la Ley de Sociedades Profesionales.

El presidente del Consejo General de Dentistas de España, Óscar Castro Reino, inauguró en Madrid la «Spring Meeting» de la FEDCAR, explicando que en España es necesario garantizar que la publicidad sanitaria cumpla con criterios de veracidad y exactitud, tanto en su forma como en su contenido, para proteger la seguridad de los pacientes. Por ello, ha defendido la necesidad de una ley nacional que la regule y que, además, permita un seguimiento adecuado del cumplimiento de los preceptos que esta norma establezca.

USO DEL ÁCIDO HIALURÓNICO Y TOXINA BOTULÍNICA

Además de exponer el problema de la plétora profesional, el presidente del Consejo General abogó por permitir el uso del ácido hialurónico por parte de los dentistas, como sucede en países como Portugal, Francia, Italia, Reino Unido, Bélgica, Austria o Alemania, al considerar que la infiltración de microfillers (o de cualquier medicamento y producto sanitario) aplicados en labios y mejillas es atribución y competencia de los dentistas, puesto que se trata de partes anatómicas de la boca.

Asimismo, en relación con el uso terapéutico de la toxina botulínica en Odontología, práctica también reconocida por naciones como Portugal, Italia, Reino Unido, Bélgica, Austria, Suiza, Noruega o Alemania, Óscar Castro ha apostado por ampliar las aplicaciones terapéuticas de este producto en otras zonas de ámbito de actuación del dentista, como es el caso de una vía de tratamiento ante casos de bruxismo, dolores orofaciales o problemas de la articulación temporomandibular. ●

Gaceta Dental · N o 358 | Junio/Julio 2023 NOTICIAS DE ACTUALIDAD
208
Foto de familia del encuentro. Imagen: cedida por el Consejo General de Dentistas de España.

Preocupación por las limitaciones del nuevo Plan de Salud Bucodental

cualquier enfermedad que afecte a la estructura del diente». En otras palabras, deja sin tratamiento conservador los dientes que requieran tratamiento endodóntico. Esto supone un retroceso respecto de la anterior cartera de servicios donde no existía esta limitación (RD 1030/2006).

Los odontólogos y estomatólogos

José Ramón Fernández Ruiz, Joaquín Artazcoz Osés y Francisco Javier Cortés Martinicorena han hecho una declaración conjunta a raíz de la entrada en vigor del nuevo Plan de Salud Bucodental, aprobado por el Gobierno de España. En ella manifiestan su pesar y preocupación por la limitación importante, que la nueva normativa supone, al tratamiento de la caries dental.

En concreto, y referido a la población hasta los 14 años, el nuevo plan excluye las lesiones profundas de caries que asocien daño pulpar irreversible. El texto del epígrafe «e» del apartado 2 dice así: «Para toda la dentición definitiva se incluyen obturaciones en lesiones que no asocien daño pulpar irreversible producidas por caries, traumatismo o por

En las consideraciones finales el plan dice textualmente: « Los tratamientos pulpares de ambas denticiones o las grandes reconstrucciones son tratamientos de elevada incertidumbre de éxito, por lo que, aunque sean necesarios para un diente concreto, es posible que no aporten nada a esa boca y menos a la persona que los necesita ». Más adelante señala que « …hay que descartar cada vez con más vehemencia los tratamientos pulpares por caries como la endodoncia de molares…/… por su elevada tasa de fracaso, el ensañamiento terapéutico que supone y por su elevado coste… »

A este respecto, los firmantes destacan que « estas son opiniones y no evidencias, y están fuera de la ciencia odontológica y de la realidad clínica de la Odontología de hoy » Así, opinan que se ha cometido un gran error, derivado de un absurdo prejuicio a-científico. « Limitar el tratamiento según la profundidad de la lesión de caries, y siempre que el diente sea conservable, no tiene ningún sentido médico y solo puede tener efectos negativos en la salud oral de estos niños/as y adolescentes. Tendrá un mayor impacto en los niveles socioeconómicos más bajos que son los que acumulan una mayor cantidad de enfermedad, como así lo señala la última « Encuesta Nacional de Salud Oral en España 2020 ». La cartera básica, en nuestra opinión, debe contener los tratamientos básicos y normalizados, avalados por la evidencia científica. Los tratamientos pulpares forman parte de las alternativas terapéuticas básicas

Gaceta Dental · N o 358 | Junio/Julio 2023 NOTICIAS DE ACTUALIDAD
El nuevo plan excluye las lesiones profundas de caries que asocien daño pulpar irreversible. Imagen: Billion Photos/ Shutterstock. 210

y normalizadas en el manejo de la caries y su tratamiento cuando la lesión no ha podido ser detenida por otros medios »

De manera semejante, pero a contrario sensu, destacan, « incluir los tratamientos pulpares no entra en conflicto con el carácter primariamente preventivo que se debe dar al manejo de esta enfermedad evitable, y que debe dominar el sentido de esta cartera de servicios, algo con lo que mostramos nuestra completa conformidad. Que otras estrategias de manejo o tratamiento de la enfermedad no hayan dado el resultado perseguido, no es razón para forzar la extracción de un diente en un niño/a o adolescente »

EXPERIENCIA Y EVIDENCIA CIENTÍFICA:

CLAVE PARA ABORDAR TRATAMIENTOS PULPARES

Podría aducirse, destacan los firmantes, que «la inclusión de los tratamientos pulpares supondría una carga de trabajo no asumible por los servicios públicos de salud. Experiencias de más de 30 años en nuestro sistema público, muestran que el número de estos tratamientos es muy bajo, con tasas inferiores al 1%. Es necesario, por tanto, enfocar la cuestión desde la evidencia científica y la experiencia».

La evidencia. La literatura sobre la supervivencia de dientes tratados endodónticamente es muy abundante y las tasas de éxito son altas, entre el 75-90%; a día de hoy, este debate está fuera de lugar. Los planificadores tienen a su disposición toda la literatura para ello.

La experiencia. La experiencia acumulada de 30 años de programas públicos de asistencia básica bucodental en población de 6 a 15 años (PADI de Navarra y País Vasco desde los años 1990-91), muestra que la tasa de endodoncias realizadas se sitúa entre el 0,37 y 0,86% (datos de acceso público). Con estas cifras no se puede afirmar que este tratamiento vaya a tener un elevado coste para las arcas públicas. Según el informe anual de Osakidetza, se realizan más tratamientos endodónticos en la red pública que en la privada concertada porque sus usuarios « …muestran una mayor

complejidad clínica y social ». Dicho con otras palabras, la red pública atiende principalmente a los sectores de población con mayor carga de enfermedad y menor nivel socio-económico.

« Creemos que lo justo, necesario, razonable y profesional es dejar la decisión de tratamiento al criterio del odontólogo responsable, que es la persona que conoce las circunstancias clínicas y de otra índole del paciente », exponen los Dres. Cortés, Fernández y Artazcoz.

« Entendemos -continúan- que no se sustenta en la lógica, ni en la evidencia, ni en la experiencia, la decisión de excluir el tratamiento de la caries con compromiso pulpar irreversible, con el argumento de su ineficacia y menos de su “ensañamiento terapéutico”. No es acorde a la evidencia científica actual ni a la realidad demostrada durante más de 30 años de experiencia PADI que, solo en la última década ha atendido a más de 1,5 millones de niños/as y adolescentes »

Esta limitación -auguran- tendrá como consecuencia inevitable la pérdida de dientes a una edad muy temprana. Si el tratamiento conservador de estos dientes no tiene amparo en el sistema público, se estará obligando a las familias a buscar tratamiento fuera de él, algo que solo podrán hacer aquellos que tengan la formación, la información y los medios necesarios para hacerlo.

Sirva como argumento final, y de importancia primordial, -concluyen-, que los sectores sociales que más van a sufrir estas consecuencias son precisamente los que más se quiere proteger, porque el nivel socio-económico es determinante en la afectación por caries.

« Por último, queremos denunciar el hecho de que, si bien hubo un comité asesor con odontólogos, el Equipo Técnico del Ministerio de Sanidad firmante del Plan de Salud Bucodental no incluye ningún odontólogo en su composición, estando compuesto por profesionales sanitarios ajenos a la Odontología (Medicina y Farmacia) »

(Documento firmado por los Dres. Francisco Javier Cortés Martinicorena, Dr. José Ramón Fernández Ruiz y Dr. Joaquín Artazcoz Oses, promotores y gestores del Sistema PADI). ●

Gaceta Dental · N o 358 | Junio/Julio 2023 211 NOTICIAS DE ACTUALIDAD

COMO ACADÉMICO DE NÚMERO

El Dr. Alfonso Villa Vigil ingresa en la Academia de Ciencias Odontológicas

La Academia de Farmacia de Madrid

sirvió como escenario al ingreso como Académico de Número del Dr. Alfonso

Villa Vigil en la Academia de Ciencias Odontológicas de España.

Tras la bienvenida del Dr. Antonio Bascones, presidente de la Academia, y la ceremonia de recepción del nuevo académico, éste último tomó la palabra. En su discurso de ingreso, incluyó un extenso capítulo de agradecimientos, que dividió en 17 apartados. De este modo, fue desgranando sus pasos profesionales, académicos y colegiales, teniendo un especial recuerdo de muchos compañeros y amigos en las diferentes etapas de su carrera, sin olvidarse, como no podía ser de otra manera, de su familia. Después, dedicó su discurso a la metodología de la ciencia, denunciando que la formación en este campo hoy en día es prácticamente nula. El Dr. Manuel Bravo Pérez fue el encargado de contestar al nuevo académico, recordando muchas anécdotas. Además, durante el acto se entregó la Medalla de Honor de la Academia de Ciencias Odontológicas de España al Dr. Javier Aranzeta. ●

7º Encuentro de Estudiantes de Higiene Bucodental del Principado de Asturias

Cerca de 90 estudiantes participaron en la jornada.

La presidenta de HIDES Asturias, Mar González, expuso a los asistentes la necesidad de mantener un colectivo unido para la mejor defensa de los intereses de los higienistas. También les explicó la historia de la Asociación, de HIDES y el asociacionismo en España. Posteriormente, siguiendo con el lema del encuentro, presentó «Descubre lo que HIDES

Asturias puede hacer por ti», una recopilación del trabajo de la organización con cursos formativos.

Además, se aprovechó el encuentro para entregar a los asistentes del Libro blanco de la profesión del Higienista Bucodental en España 2019, «una muestra de la realidad laboral actual de la profesión en las clínicas dentales privadas de España, resultando ser una clara información para el desarrollo de la profesión y en busca de una mejor asistencia de la salud oral de la población», destacan desde HIDES Asturias. ●

Gaceta Dental · N o 358 | Junio/Julio 2023 212 NOTICIAS DE ACTUALIDAD
El Dr. Alfonso Villa Vigil dedicó palabras de agradecimiento a su familia y sus compañeros de profesión.

EXPADENT APP

Hemos mejorado nuestro sistema de gestión, y ahora cualquiera de nuestros clientes podrán realizar los pedidos directamente desde nuestra aplicación, intuitivamente.

También permite hacer un seguimiento total del proceso de fabricación y de envío del pedido realizado.

ENVÍANOS TUS IMPRESIONES DIGITALES: LÍDERES EN LA ELABORACIÓN DE PRÓTESIS DENTALES Corona de zirconio 59,90 € 49,90 € Antes Ahora  +34 910 059 139  info@expadent.com www.expadent.com *Las fotografías de este anuncio corresponden a trabajos realizados en nuestro laboratorio
DISPONIBLE
YA
AHORA QUE TODO SUBE, NOSOTROS BAJAMOS PRECIOS

Congresos

DR. JOSÉ JAVIER PINILLA

Presidente del XX Congreso SECIB Córdoba

Con un programa científico de altísimo nivel con ponentes internacionales y nacionales, Córdoba acogerá, del 21 al 23 de septiembre, la celebración del XX Congreso SECIB. Una cita, en palabras de su presidente, el Dr. José Javier Pinilla, que «pretende ser un punto de enlace y convivencia entre compañeros» y que abordará conocimientos sobre diferentes materias relacionadas con la práctica y el estudio de la Cirugía Oral.

Del 21 al 23 de septiembre, Córdoba acogerá la vigésima edición del Congreso SECIB. ¿Qué esperan del evento?

—Pretendemos que el XX Congreso SECIB Córdoba sea un punto de enlace y convivencia durante tres días entre compañeros en los que, además, compartiremos conocimientos sobre diferentes materias relacionadas con la práctica y el estudio de la Cirugía Oral, siempre con el máximo rigor científico.

—Alrededor de 500 personas asistieron a la edición pasada celebrada en Pamplona. ¿Qué cifras de asistencia manejan en esta ocasión?

¿Hay alguna novedad significativa respecto a años anteriores?

—Espero que volvamos a conseguir una asistencia similar a la de otros congresos anteriores a la COVID-19, que solía estar cercana a los 800 asistentes. Como novedad, contaremos con un curso precongreso el jueves 21 de septiembre por la mañana, en el que el Dr. David González comparará, con estudios científicos y con abundancia de casos clínicos realizados por él, dos técnicas quirúrgicas de regeneración ósea 3D en la zona estética.

—El programa científico contará con ponentes que presentarán, por un lado,

Gaceta Dental · N o 358 | Junio/Julio 2023 CONGRESOS.
214
XX Congreso SECIB Córdoba

una vertiente investigadora y basada en la evidencia científica; y, por otro, abordarán el lado clínico de la Cirugía Bucal. ¿Qué temas se debatirán en las conferencias y quiénes serán los encargados de impartirlas?

—La Implantología tiene un papel muy importante en nuestros congresos. Se hablará de ello con el Dr. Gorge Galante, que se centrará en el manejo de tejidos blandos en ROG; y con los Dres. José Luis DomínguezMompell, Juan Lara Chao y Antonio Castilla, que abordarán la ROG con técnica de bloque óseo y con membranas y biomateriales, siempre con un enfoque bilógico para obtener buenos resultados. Asimismo, el Dr. Carlos Parra hablará de soluciones customizadas, individualizadas a cada paciente, en atrofias severas. Contaremos con otros ponentes internacionales de la categoría de los Dres. Patrick Palacci, Luigi Canullo, Terry Zaniol y Abdelsalam Elaskary. Como alternativas a la ROG, el Dr. Argimiro Hernández nos hablará de su técnica de oseodensificación en atrofias alveolares, y el Dr. Eduardo Anitua versará sobre implantes cortos y estrechos como alternativa mínimamente invasiva a la ROG. Para cerrar el tema implantes, los Dres. Óscar González, Gustavo Ávila y Ernest Mallat abordarán los criterios biológicos, biomecánicos y protésicos que pueden determinar el éxito en nuestras rehabilitaciones implantosoportadas; los Dres. Antonio Romero, Juan Ballesteros, Giuliano Fragola y Luis Cuadrado protagonizarán una mesa redonda sobre el flujo digital en implantes; y también se hablará de la patología periimplantaria con presentación de estudios muy novedosos al respecto de las universidades de Granada (Dr. Pablo Galindo) y Barcelona (Dres. Mari Ángels Sánchez Garcés y Jorge Toledano). Tendremos otras ponencias que nos expondrán temas como el uso responsable de los antibióticos por parte del Dr. José Miguel Cisneros; o la importancia del cáncer y precáncer oral y el papel del cirujano oral y el dentista en general en su diagnóstico precoz, en forma de presentación de casos clínicos y discusión de los mismos por parte de expertos

representantes de universidades españolas: Dres. José Vicente Bagán, José Luis Gutiérrez, Juan Manuel Seoane, José Manuel Aguirre, moderados por el Dr. Cosme Gay Escoda. Además, se presentará la Guía Práctica Clínica de atención odontológica al paciente con cáncer oral elaborada por SECIB, por parte del Dr. José Luis Gutiérrez. Otros temas a tratar serán la osteonecrosis maxilar y su prevención (Dr. Manuel María Romero); la perfiloplastia con abordajes mínimamente invasivos (Dr. Ronar Gudiño); el uso de las técnicas de corticotomía para acelerar los tratamientos ortodóncicos (Dr. Eduardo Montero); y la actualización en cirugía periapical y reimplante dentario intencional y su presentación como unas opciones terapéuticas válidas en determinados casos (Dra. Adriana Castro).

—Los talleres jugarán, asimismo, un papel fundamental dentro del XX Congreso SECIB. ¿Qué aprenderán los congresistas que asistan a dichos talleres?

—Los talleres son una manera muy eficaz de formarse en determinadas técnicas quirúrgicas con un claro enfoque práctico.

—Por último, ¿qué les diría a aquellos profesionales que todavía no tienen clara su asistencia al congreso?

—SECIB Córdoba va a ser un evento que aunará un programa científico de gran interés con ponentes internacionales y nacionales de indiscutible valía y que abordará diferentes aspectos de la Implantología y Cirugía Oral con un enfoque científico, pero que pueda tener su aplicación clínica por parte de los asistentes. ●

Gaceta Dental · N o 358 | Junio/Julio 2023 XX Congreso SECIB Córdoba. CONGRESOS 215
«SECIB Córdoba 2023 va a ser un evento que aunará un programa científico de gran interés con ponentes de indiscutible valía»

Diploma Universitario «Odontología Estética»

Organiza: UCM - Facultad de Odontología.

Dirige: Dr. Carlos Oteo.

Fecha y lugar: de octubre de 2023 a junio de 2024 en la Facultad de Odontología de la UCM.

Teléfono e e-mail: 913 941 906 - odonfpermanente@ucm.es www.odontologia.ucm.es//f-permanente-cursos

Máster Experto Ortodoncia Invisible

Organiza: Manuel Román Academy.

Fecha y lugar: del 29 de junio al 2 de julio en Madrid. Este máster se dirige especialmente a ortodoncistas que ya tienen experiencia en ortodoncia invisible y es la manera más rápida y eficiente de perfeccionar y sacarle el máximo partido a los sistemas Spark e Invisalign. https://manuelroman.com/master-experto-ortodoncia-invisible/

Curso de alineadores

Organiza: Ortocervera - Instituto de Ortodoncia.

Imparten: Dra. Isabel Cervera, Dr. Alberto Cervera y Dra. Mónica Simón. Fechas: del 2 al 4 de noviembre (primer módulo); del 30 de noviembre al 2 de diciembre de 2023 (segundo módulo).

Teléfono: 915 541 029

www.ortocervera.com

Curso 100% mucogingival sobre dientes e implantes

Organiza: Osteógenos.

Imparte: Dr. Hani Elsaheb.

Fecha y lugar: 3 y 4 de noviembre de 2023 en Barcelona.

Teléfono e e-mail: 914 133 714 - formacion@osteogenos.com www.osteogenos.com

27ª Edición del Máster de Formación Permanente Avanzado en Prótesis Dental

Organiza: Fundació Lluís Alcanyís – Universitat de València.

Dirige: Dr. Eduardo José Selva Otaolaurruchi y Dra. Lucía Fernández De Estevan.

Fecha: abierta matrícula. Comienza el 12/09/2023. Dos años de duración.

Teléfono e e-mail: 963 864 175 - formaciofla@uv.es

https://go.uv.es/RWJF1QR

Calendario de cursos de certificación

Organiza: Alineadent.

Imparten: Dras. Josefa Castaño, Cristina Monleón y Carolina Valle. Fecha y lugar: 28 de octubre de 2023 (Barcelona). https://academy.alineadent.com/

216 Gaceta Dental · N o 358 | Junio/Julio 2023 AGENDA Agenda

24ª Edición del Máster de Formación Permanente «Odontología Restauradora y Endodoncia»

Organiza: Fundació Lluís Alcanyís – Universitat de València.

Dirigen: Dres. Vicente José Faus Llacer y Vicente Faus Matoses.

Fecha: abierta matrícula. Comienza el 28/09/2023. Dos años de duración.

Teléfono e e-mail: 963 864 175 - formaciofla@uv.es

https://go.uv.es/9WaYDWD

Programa de formación Bioinnovación Dental Academy

Organiza: Bioinnovación Dental.

Fecha: consultar próximas formaciones.

Teléfono: 948 277 430

Se trata de un programa de formación adaptada a cada nivel, de los principales programas de CAD odontológico.

https://bioinnovaciondental.com/

Diploma de Experto en Odontopediatría Clínica

Organiza: Instituto de Desarrollo Odontológico Digital (IDEOD). Programa acreditado por la Universidad Nebrija (NFC).

Dirige: Dra. Asunción Mendoza.

Duración: 20 ECTS. 9 meses. De septiembre de 2023 a mayo de 2024.

Modalidad: Presencial. Asiste a clase solo 2 días seguidos al mes. Sevilla.

Teléfono e e-mail: 659 862 391 - formacion@institutoideod.es

www.institutoideod.es

Experto en Ortodoncia Funcional, Aparatología Fija y Alineadores

Organiza: Ortocervera - Instituto de Ortodoncia.

Imparten: Dres. Alberto Cervera, Isabel Cervera y Mónica Simón.

Fecha: comienza el 28 de septiembre de 2023.

Teléfono: 915 541 029

www.ortocervera.com

Certificado Universitario «Cirugía mucogingival avanzada alrededor de dientes e implantes»

Organiza: UCM - Facultad de Odontología.

Dirigen: Dres. Mariano Sanz Alonso e Ignacio Sanz.

Fecha y lugar: de febrero de 2024 a mayo de 2024.

Teléfono e e-mail: 913 941 906 - odonfpermanente@ucm.es

www.odontologia.ucm.es//f-permanente-cursos

VI Jornadas internacionales «Tratamiento interdisciplinar en ortodoncia: flujo digital»

Organiza: Asociación Iberoamericana de Ortodoncistas (AIO). Conferenciantes: Mauricio González, Ramón Mompell, Arturo Vela, Elvira Antolín, Beatriz y Patricia Solano, Nacho y Vicente Faus.

Fecha y lugar: 27-28 octubre de 2023 en Sevilla.

Teléfono e e-mail: 954 254 718 - congresssvq@atlanta.es

www.jornadasaio.com

217 Gaceta Dental · N o 358 | Junio/Julio 2023 AGENDA

Certificado Universitario «Cirugía Regenerativa en Implantología»

Organiza: Universidad Complutense de Madrid - Facultad de Odontología.

Dirige: Dr. Juan López-Quiles.

Fecha y lugar: 2023, en la Facultad de Odontología UCM.

Teléfono e e-mail: 913 941 906 - odonfpermanente@ucm.es www.odontologia.ucm.es//f-permanente-cursos

Curso modular dedicado a «Endodoncia y reconstrucción»

Organiza: Colegio de Dentistas de Pontevedra y Ourense.

Directores: Manuel M. García Rielo, José Conde Pais y José Ramón García Iglesias. Fecha y lugar: comienza el 6 de octubre de 2023 y se prolonga hasta el 25 de mayo de 2024 en Pontevedra.

https://www.colegiopontevedraourense.com/

Cursos de certificación y Medicina Dental del Sueño

Organiza: OrthoApnea.

Imparten: Dres. Eduardo Vázquez, Javier Albares y Rocío Marco. Fechas y lugares: 20 de octubre de 2023 en Málaga. https://www.orthoapnea-academy.com/

Aligner Pro Academy

Organiza: Instituto de Desarrollo Odontológico Digital (IDEOD).

Dirigen: Beatriz Solano, Fara Yeste y Elvira Antolín. Duración: 12 meses. Inicio en enero de 2024. Modalidad: online. Clases en directo y emitidas en diferido. Teléfono e e-mail: 659 862 391 - formacion@institutoideod.es www.institutoideod.es

Título Experto Universitario en Endodoncia

Organiza: CEOdont.

Imparte: Dr. Juan Manuel Liñares Sixto.

Fechas: el primer módulo se celebrará en abril de 2024.

Consta de 5 módulos.

Teléfonos e e-mail: 915 530 880 - 680 33 83 17 - cursos@ceodont.com

www.ceodont.com

¿Te gustaría aprender o mejorar tu nivel de FOTOgrafía Dental?

Organiza: Fernando Rey FOTOgrafía Dental. Cursos personalizados grupales o individuales. Cursos tanto de nivel clínico como avanzado. Ofrecen diseño de presentaciones, conferencias y comunicaciones modernas, elegantes y dinámicas. www.fotografiadentalfr.com/

218 Gaceta Dental · N o 358 | Junio/Julio 2023 AGENDA

Máster en dirección y transformación de clínicas dentales

Organiza: Instituto de Desarrollo Odontológico Digital (IDEOD).

Dirigen: Sofía Solano, Pedro de Ahumada y Úrsula Barroso.

Fecha y lugar: octubre de 2023-junio de 2024. Elige tu campus: Madrid o Sevilla.

Teléfono e e-mail: 659 862 391 - formacion@institutoideod.es

www.institutoideod.es

Máster Experto Ortodoncia Invisible Intensivo

Organiza: Manuel Román Academy.

Fecha y lugar: del 29 de junio al 2 de julio. Ubicación por determinar. Este máster se dirige especialmente a ortodoncistas que ya tienen experiencia en ortodoncia invisible y es la manera más rápida y eficiente de perfeccionar y sacarle el máximo partido a los Sistema Spark e Invisalign. https://manuelroman.com/master-experto-ortodoncia-invisible/

Aplicación clínica del avance mandibular para el tratamiento de la AOS

Organiza: Ortocervera - Instituto de Ortodoncia.

Imparte: Dra. Mónica Simón Pardell.

Fecha: libre elección.

Teléfono: 915 541 029

www.ortocervera.com

VI Edición Curso modular de técnicas quirúrgicas en regeneración ósea y tejidos blandos «injertos autólogos y xenoinjertos»

Organiza: Osteógenos. Imparten: Dres. Antonio Armijo y Pablo Pavón. Fecha y lugar: comienza en noviembre de 2023 en Bilbao.

Teléfono e e-mail: 914 133 714 - formacion@osteogenos.com www.osteogenos.com

Diploma Universitario «Prótesis: estética y tecnología digital UCM»

Organiza: UCM - Facultad de Odontología.

Dirigen: Dres. Ma Jesús Suárez García y Jesús Peláez Rico.

Fecha y lugar: de enero de 2024 a julio de 2024 en la Facultad de Odontología de la UCM.

Teléfono e e-mail: 913 941 906 - odonfpermanente@ucm.es

www.odontologia.ucm.es//f-permanente-cursos

Cursos «Blender for dental»

Organiza: Scannice.

Teléfonos: 635 794 697 - 956 302 371

E-mail: info@scannice.com

Descubre todo lo que tiene que ofrecer el software de diseño más rompedor del mercado con estos cursos modulares.

www.scannice.com

220 Gaceta Dental · N o 358 | Junio/Julio 2023 AGENDA

«Spark Onboarding»

Organiza: Manuel Román Academy.

Fecha y lugar: 7 de julio en Madrid; 8 de julio en Barcelona.

¿Quieres saber todo sobre el sistema de ortodoncia invisible Spark? Esta formación está dirigida a ortodoncistas que ya tienen experiencia en alineadores y quieren dar el salto a Spark.

https://manuelroman.com/spark-onboarding/

Máster de Formación Permanente en Ortodoncia y Ortopedia Dentofacial

Organiza: Instituto de Desarrollo Odontológico Digital (IDEOD). Programa acreditado por Universidad Nebrija (NFC). Dirige: Dr. Enrique Solano. Duración y modalidad: 120 ECTS. 3 años. 2023/2026. Presencial. Asiste a clase solo 3 días seguidos al mes. Sevilla Teléfono e e-mail: 659 862 391 - formacion@institutoideod.es

www.institutoideod.es

XIV Curso de Kinesiología y Posturología

Organiza: SEKMO (Sociedad Española de Kinesiología Médica Odontológica).

Fechas y lugar: 7-8 de julio, 22-23 de septiembre, 27-28 de octubre y 24-25 de noviembre de 2023 en Madrid.

Curso basado en el método GME.

Teléfono e e-mail: 691 684 308 - secretariatecnica@sekmo.es

www.sekmo.es

Diploma Universitario «Implantología clínica: técnicas quirúrgicas y restauradoras»

Organiza: UCM - Facultad de Odontología.

Dirigen: Dres. Guillermo Pradíes, Cristina Madrigal y Arelhys Valverde.

Fecha y lugar: de enero de 2024 a noviembre de 2024 en la Facultad de Odontología UCM.

Teléfono e e-mail: 913 941 906 - odonfpermanente@ucm.es

www.odontologia.ucm.es//f-permanente-cursos

Cursos modulares «Exocad»

Organiza: Scannice.

Teléfonos: 635 794 697 - 956 302 371

E-mail: info@scannice.com

Conviértete en un experto y lleva tus trabajos a otro nivel de la mano de expertos con más de 15 años de experiencia en el sector dental.

www.scannice.com

Diploma Universitario avanzado en Periodoncia UCM–SEPA

Organiza: UCM - Facultad de Odontología.

Dirigen: Dres. Bettina Alonso Álvarez, David Herrera González y Mariano Sanz Alonso.

Fecha y lugar: de enero de 2024 a julio de 2024.

Teléfono e e-mail: 913 941 906 - odonfpermanente@ucm.es

www.odontologia.ucm.es//f-permanente-cursos

Gaceta Dental · N o 358 | Junio/Julio 2023 AGENDA
221

Productos

Henry Schein España lanza tiras blanqueadoras disolubles

Henry Schein España ha anunciado la ampliación de la cartera de productos White Dental Beauty con el lanzamiento de las tiras blanqueadoras disolubles profesionales

P3 de White Dental

Beauty. Las tiras serán una adición óptima al tratamiento de blanqueamiento profesional de White Dental Beauty en la práctica dental, ofreciendo a los pacientes más opciones para mantener una sonrisa más brillante.

https://www.henryschein.es

SaluMYCIN, tratamiento regenerativo 2 en 1

SaluMYCIN es un aloinjerto que contiene el antibiótico vancomicina, que es liberado localmente de forma controlada en 5 semanas. SaluMYCIN está especialmente indicado para periimplantitis e infecciones óseas, siendo un tratamiento 2 en 1 porque regenera hueso, a la vez que cura y previene estas infecciones. Cuenta con una larga experiencia y son ya muchos los pacientes tratados exitosamente.

https://salugraftdental.com/productos/salumycinaloinjerto-esponjoso-con-antibiotico/

Multi-Unit recto y angulado de Smart Implant Solutions

Smart Implant Solutions ofrece una amplia gama de transepiteliales MultiUnit de alta calidad y excelentes propiedades mecánicas, con una conexión al implante de altísima precisión. Su forma anatómica favorece el asentamiento y cierre de la encía, evitando las patologías periimplantológicas. Disponibles en formato recto y angulado, para correcciones de ángulo de 17o y 30 o. El ajuste es óptimo con las llaves Multi-Unit de Smart Implant Solutions.

www.smartimplantsolutions.com

Bioinnovación

Dental amplía su gama con el lanzamiento de BIOFIT, una solución innovadora que combina una barra fresada de titanio anodizado, con una sobreestructura de zirconio y que, ahora mismo, es lo más evolucionado en rehabilitaciones dentales. BIOFIT es ajuste, durabilidad y alta estética. El futuro ya está aquí. ¡Descúbrelo!

https://bioinnovaciondental.com/

ENDO 3 Woodpecker, el nuevo y más avanzado endoactivador

Pieza de mano ergonómica e inalámbrica ideal para activar la irrigación y así realizar un correcto desbridamiento y desinfección del sistema de conductos radiculares. Diseñado especialmente para garantizar un fácil acceso a todas las piezas dentales.

www.rumarcedeira.com

VivaScan, solución de escaneado intraoral

VivaScan es un escáner intraoral compacto de alto rendimiento para consultas dentales y ofrece una experiencia de escaneado flexible. Su diseño delgado, ligero y ergonómico hace del escaneado una tarea sin esfuerzo. Con el software fácil de usar e intuitivo, los escaneos se pueden enviar directamente al laboratorio de elección en un flujo de trabajo optimizado. La solución integrada para compartir archivos garantiza una transferencia de datos segura y sin coste adicional.

https://www.ivoclar.com/es_es

Gaceta Dental · N o 358 | Junio/Julio 2023 222 PRODUCTOS
BIOFIT, una solución innovadora de Bioinnovación Dental

AP-B Woodpecker, la solución para una profilaxis perfecta

El nuevo AP-B de Woodpecker es la herramienta perfecta que no puede faltar en cualquier clínica donde se realizan tratamientos de profilaxis, Periodoncia y Endodoncia, gracias a que integra un ultrasonido piezoeléctrico, así como un potente y versátil aeropulidor 2 en 1 con función supragingival y subgingival. Función autolimpieza y diseño antiatasco. Todo ello en una única unidad fácilmente programable.

https://rumarcedeira.com/novedades-aparatologia/

Normopul Spin, nuevo sistema de pulido

Normon amplía su línea restauradora con el nuevo sistema de pulidores para composite y cerámica híbrida, Normopul Spin. Este lanzamiento se compone de cuatro referencias: dos pulidores individuales Normopul Spin Medio y Normopul Spin Fino; y dos kits, Normopul Spin Kit 1x1, compuesto por una unidad de Pulidor Medio y una unidad de Pulidor Fino y Normopul Spin Kit 3x3 compuesto por tres unidades del Pulidor Medio y tres unidades del Pulidor Fino.

www.normon.es

Anticipa la sensación de estabilidad primaria con Ticare V2

Ticare V2 es la esencia de Ticare, con un restyling de la geometría externa del implante Ticare. La espiral de doble hilo de estos implantes reduce a la mitad el tiempo de inserción, minimizando así el calentamiento óseo. Además, es un ápice más eficaz, por lo que, gracias a un cono más apuntado, aporta estabilidad primaria adicional. Con este cambio en la geometría externa se consigue mejor estabilidad primaria, menor tiempo de inserción y reducir más el traumatismo.

https://www.ticareimplants.com/

Septodont presenta Biodentine XP

El Biodentine de siempre, el primer sustituto de la dentina tanto de la corona como de la raíz, se presenta en un sistema nuevo y mejorado, en cartuchos con dos medidas distintas, que ya contienen el polvo y el líquido y que permiten la aplicación directa en boca con la pistola Biodentine XP.

https://www.biodentinexp.es/

Pilar transepitelial de Smart Implant Solutions

Favorece el apoyo de las fibras de colágeno, protegiendo al implante del paso de bacterias. La superficie del pilar (que conecta con el implante dental) está anodizada, dificultando la colonización bacteriana, además de mejorar el aspecto del tejido blando y evitando los grises de la encía. El hecho de tener microrretenciones en la base del pilar favorece que las fibras de colágeno se anclen a éste.

www.smartimplantsolutions.com

O-Star Woodpecker, más que una lámpara de fotocurado

Con la O-Star podrás polimerizar todas las resinas del mercado en tan solo 1 segundo. Dispone de lente de polimerización de 10 mm, 7 programas de trabajo (entre ellos programa Ortho), luz fluorescente para detectar caries y biofilm, medidor de intensidad de luz en la base de carga y lente de cura de puntos para emisión focalizada.

https://rumarcedeira.com/novedades-aparatologia/

Gaceta Dental · N o 358 | Junio/Julio 2023 223 PRODUCTOS
Ayuda a los profesionales del sector a triunfar en su carrera CURSOS / POSTGRADOS / MÁSTERES Consulta condiciones y contrata: Anuncia tu curso, máster o postgrado en la guía que batió récords de audiencia en 2022 Una herramienta clave para que odontólogos, higienistas y protésicos definan su futuro gacetadental.com/formacion Impulsa: ANA SANTAMARÍA ana@gacetadental.com 648 234 766 MARTA PÉREZ marta@gacetadental.com 630 369 535

¿CÚAL ES LA TUYA?

1 2 3

GESDEN ONE WEB

El software web más completo y avanzado para la gestión de la clínica dental

Únete al ONE

50€/mes 75€/mes 100€/mes

Todas las soluciones incluyen: Uso del software + mantenimiento.

Oferta válida hasta el 31 de julio de 2023. Consulta precio de ALTA

Usuario adicional Gesden EASY 5€/mes

Usuario adicional Gesden PROFESIONAL / MULTICLINICA 10€/mes

Los precios no incluyen IVA/IGIC

Láser de diodo

Láser de diodo

D-Láser Blue

D-Láser Blue

Amplio ámbito de aplicaciones.

Amplio ámbito de aplicaciones.

Cirugía de tejidos blandos

Cirugía de tejidos blandos

Esterilización endodóntica

Esterilización endodóntica

Esterilización periodontal

Esterilización periodontal

Periimplantitis

Periimplantitis

Tratamiento con láser de baja intensidad

Tratamiento con láser de baja intensidad

Blanqueamiento dental Úlcera oral

Blanqueamiento dental Úlcera oral

Dr. Baran Abdi Galán

Dr. Baran Abdi Galán

PARA MÁS INFORMACIÓN: sanhigiamk@gmail.com sanhigia.com 639 87 79 63

PARA MÁS INFORMACIÓN: sanhigiamk@gmail.com sanhigia.com

Más y mejores tratamientos. Básicamente no hay sangrado durante la intervención, minimizando al máximo la hinchazón postoperatoria, reduciendo el dolor de los pacientes y acelerando su recuperación

Más y mejores tratamientos.

Básicamente no hay sangrado durante la intervención, minimizando al máximo la hinchazón postoperatoria, reduciendo el dolor de los pacientes y acelerando su recuperación

“La versatilidad del D-laser Blue lo convierte en su principal ventaja. Con un solo equipo podemos hacer las funciones equivalentes a tres tipos de láser, lo que nos permite individualizar cada tratamiento para un resultado óptimo”.

“La versatilidad del D-laser Blue lo convierte en su principal ventaja. Con un solo equipo podemos hacer las funciones equivalentes a tres tipos de láser, lo que nos permite individualizar cada tratamiento para un resultado óptimo”.

@Sanhigia @sanhigia_yt

225 DIRECTORIO DE ENCARTES. Gaceta Dental 358 93 414 43 40 - 91 083 07 12 673 70 96 29 comercial@grupoinfomed.es www.grupoinfomed.es
UNA SOLUCIÓN PARA CADA TIPO DE CLÍNICA
GESDEN ONE ahora en SaaS Una cuota única con todo incluido
GESDEN EASY GESDEN PROFESIONAL GESDEN MULTICLINICA
de C.FAL.GONE.01-23_230523 infomed FALDÓN.indd 1 25/05/2023 10:59:41 SPES FALDÓN.indd 1 09/06/2023 11:29:57
Alojado en el cloud
Mejora la experiencia del paciente y aumenta la rentabilidad de tu clínica.
Mejora la experiencia del paciente y aumenta la rentabilidad de tu clínica.
639 87 79 63
SANHIGIA
06/06/2023 14:02:17 Gaceta Dental · N o 358 | Junio/Julio 2023
@Sanhigia @sanhigia_yt
- FALDÓN.indd 1

CALENDARIO

DE CONGRESOS

Calendario de congresos

JULIO 2023

AIOI España Segovia días 1 y 2

SEPTIEMBRE 2023

SECIB Córdoba del 21 al 23

II Congreso de Alineadores y Nuevas Tecnologías Santiago de Compostela del 21 al 23

FDI World Dental Congress Sídney del 24 al 27

OCTUBRE 2023

CIRNO-AEPP Barcelona del 5 al 7

SEPES Valencia del 12 al 14

SEOENE Murcia días 27 y 28

NOVIEMBRE 2023

AEDE Tenerife del 2 al 5

SESPO Valencia días 10 y 11

SEOE Valencia día 10

SEMDES Córdoba del 16 al 18

OMD Lisboa del 17 al 19

ACADEN Granada días 18 y 19

SEI Tenerife días 24 y 25

FEBRERO 2024

AAMADE Madrid días 9 y 10

SOCE Málaga días 16 y 17

SELO Zamora días 23 y 24

MARZO 2024

EXPODENTAL Madrid del 14 al 16

SEOII León del 14 al 16

ABRIL 2024

SEOC Sitges del 10 al 13

226 Gaceta Dental · N o 358 | Junio/Julio 2023

UN SIGLO DE INNOVACIÓN

Llevamos 100 años apoyando a odontólogos, protésicos e higienistas dentales, tanto profesional como personalmente, en el cumplimiento de su pasión y propósito: garantizar que las personas tengan la mejor salud bucodental y calidad de vida posibles. Nos inspira saber que juntos crecemos mejor, hoy, mañana y en el futuro.

SgAV_01_060_006_002 /
Créditos fotográficos: Liechtensteinisches Landesarchiv,
Fotografía:
Walter Wachter, Schaan
ivoclar.com Making People Smile

Ser original no tiene precio. Seguir siendolo, sólo 199€*

TARIFA PLANA NSK

Tu turbina de la Serie S-Max M como nueva, gracias a la promoción especial Tarifa Plana NSK. Cambia el antiguo rotor de tu turbina por un nuevo rotor original NSK, por sólo 199€* (mano de obra incluida).

Oferta especial válida hasta el 31 de Julio de 2023. ¡Aprovéchala ahora!

NSK Dental Spain S.A. www.nsk-spain.es Módena, 43 · El Soho-Európolis · 28232 Las Rozas de Madrid - tel: +34 91 626 61 28 · fax: +34 91 626 61 32 · e-mail: info@nsk-spain.es
* Los precios no incluyen IVA. Ofertas limitadas hasta el 31 de Julio de 2023.

Oferta

VarioSurg3

• Aplicaciones:

Cirugía Ósea Elevación de Seno Cirugía Periodontal Cirugía Endodóntica

• Tres modos: Cirugía, Endodoncia, Periodoncia (9 programas)

• Modo ráfaga seleccionable

• Intensidad de luz LED regulable

• Modo autolimpieza

• Función de retroiluminación

4.899€* 11.835€*

CON DOBLE LUZ

¡Flash!
DESDE EL 1 DE MAYO HASTA EL 30 DE JUNIO DE 2023
SISTEMA DE CIRUGÍA ULTRASÓNICA
* Los precios no incluyen iva. Ofertas limitadas hasta el 30 de Junio de 2023 o hasta fin de existencias.
Incluido: Kit Básico H-SG1 SG3 SG5 SG6D SG7D SG11
VarioSurg3 REF. Y1002726 MODELO VarioSurg3 REF. E1133001
MODELO
2ª PIEZA
DE MANO CON CABLE

Turn static files into dynamic content formats.

Create a flipbook
Issuu converts static files into: digital portfolios, online yearbooks, online catalogs, digital photo albums and more. Sign up and create your flipbook.
Gaceta Dental - 358 by Peldaño - Issuu