Gaceta Dental - 357

Page 1

Núm. 357 Mayo 2023 | 6,50€ gacetadental.com

Especial Ortodoncia

• Ortodoncia interdisciplinar

• Protagonistas: Dr. Enrique Solano Reina

• Casos clínicos

Encuentro

Planificación facialmente guiada, la gran aliada para odontólogos y pacientes

Digital al día

Protocolo Di²gitalArch®️ 2.0: técnica de colocación

Odontología y Neurología

Asociación entre la periodontitis y las enfermedades

neurológicas y demencias

Tecnología e innovación

Quiero digitalizar mi clínica: ¿por dónde empiezo?

Núm. 357 Mayo 2023 | 6,50€ gacetadental.com

Especial Ortodoncia

• Ortodoncia interdisciplinar

• Protagonistas: Dr. Enrique Solano Reina

• Casos clínicos

Encuentro

Planificación facialmente guiada, la gran aliada para odontólogos y pacientes

Digital al día

Protocolo Di²gitalArch®️ 2.0: técnica de colocación

Odontología y Neurología

Asociación entre la periodontitis y las enfermedades

neurológicas y demencias

Tecnología e innovación

Quiero digitalizar mi clínica: ¿por dónde empiezo?

DESCUBRE LA GAMA COMPLETA DE BLANQUEAMIENTOS DE NORMON

DENTAL

CLÍNICA

Productos sanitarios*

35% de Peróxido de hidrógeno.

DOMICILIARIO

Cosméticos**

Norblanc Office Automix 37,5% de Peróxido de hidrógeno.

Norblanc Home 16% de peróxido de carbamida (36 jeringas).

Norblanc Home 16% de peróxido de carbamida (4 jeringas).

Material destinado exclusivamente a profesionales sanitarios. * Este producto sanitario puede tener contraindicaciones y/o efectos adversos. Lea detenidamente las instrucciones de uso antes de su utilización. De conformidad con la legislación vigente de productos sanitarios.

** El primer uso estará restringido a odontólogos o tendrá lugar bajo su supervisión directa, siempre que se garantice un grado de seguridad equivalente. Posteriormente se entregará al paciente junto con las instrucciones de uso para que complete el ciclo en casa. Venta exclusiva a odontólogos. No utilizar en menores de 18 años.

Norblanc Home 10% de peróxido de carbamida (4 jeringas).

VA-02-PF-NORBLA-MD-03.2023-1.3

E-max CAD sobre implante

E-max CAD sobre diente natural

E-max CAD sobre diente natural

E-max CAD sobre implante

E-max CAD sobre implante

E-max CAD técnica “Cut-back”

E-max

E-max CAD técnica “Cut-back”

E-max CAD “Monolítico”

E-max CAD “Monolítico”

le ofrece:

innovador Disilicato de Litio (LS2) del sistema de cerámica

le ofrece:

le ofrece:

IPS e.max CAD no solo ofrece una altísima estética que también es de 2,5 a 3 veces más resistente 360 que el resto de cerámicas de vidrio. Por ello, este material cubre todos los requerimientos estéticos y también representa una alternativa eficiente a las restauraciones unitarias ZrO2. (Zirconio)

El innovador Disilicato de Litio (LS2) del sistema de cerámica vítrea IPS e.max CAD no solo ofece una altísima estética sino que también es de 2,5 a 3 veces más resistente 360 MPa que el resto de cerámicas de vidrio. Por ello, este material cubre todos los requerimientos estéticos y también representa una alternativa eficiente a las restauraciones unitarias de Zr02 (Zirconio).

El innovador Disilicato de Litio (LS2) del sistema de cerámica vítrea IPS e.max CAD no solo ofrece una altísima estética sino que también es de 2,5 a 3 veces más resistente 360 MPa que el resto de cerámicas de vidrio. Por ello, este material cubre todos los requerimientos estéticos y también representa una alternativa eficiente a las restauraciones unitarias de ZrO2. (Zirconio)

IPS e.max está avalado por la experiencia clínica que ha demostrado durante años, tanto en estética como en resistencia. La amplitud de elección del material, según el caso, en conjunción con la técnica empleada en nuestro laboratorio dotarán a los trabajos de la mayor estética para sus pacientes.

IPS e.max está avalado por la experiencia clínica que ha demostrado durante años, tanto en estética como en resistencia. La amplitud de elección del material, según el caso, en conjunción con la técnica empleada en nuestro laboratorio dotarán a los trabajos de la mayor estética para sus pacientes.

IPS e.max está avalado por la experiencia clínica que ha demostrado durante años, tanto en estética como en resistencia. La amplitud de elección del material, según el caso, en conjunción con la técnica empleada en nuestro laboratorio dotarán a los trabajos de la mayor estética para sus pacientes.

CAD técnica “Cut-back”
Pre Pre Pre Pre ®
E-max CAD “Monolítico”
Pre Pre Pre Pre
Pre Pre Pre Pre ®

De una vez por todas

«Los datos en relación a la salud bucodental en el mundo son alarmantes», advierte el Dr. Miguel Ángel González Moles en las páginas de este número de Gaceta Dental donde la Ortodoncia es protagonista. El prestigioso catedrático de la Universidad de Granada y uno de los investigadores en el campo de la Odontología más relevantes del mundo, según el ranking de la Universidad de Stanford, ha sido invitado por la Organización Mundial de la Salud (OMS) para formar parte del grupo de expertos internacional que debate el paquete de servicios de atención bucodental que se incluirá en el compendio de cobertura sanitaria universal para 2030. Un doble orgullo no solo para él sino, a todas luces, para toda la Odontología española. En el mundo, se calcula que 3.500 millones de personas padecen alguna, o más de una, de las enfermedades bucodentales más relevantes: caries en dientes deciduos y permanentes, enfermedad periodontal, edentulismo y cáncer. Y el reto al que se enfrentan el Dr. González Moles, junto con otros diecinueve investigadores, clínicos y epidemiólogos, no parece sencillo.

Tienen por delante revisar, actualizar y consolidar los servicios esenciales de atención bucodental que deberían implementar los gobiernos de los diferentes países del mundo para alcanzar unos mínimos de salud bucodental en la población. En el caso de España los datos no son nada halagüeños. «Las cifras para un país de los más desarrollados del mundo son inaceptables», destaca el Dr. González Moles. Aumentar los recursos sanitarios y la información a la población para que se adquieran medidas preventivas adecuadas son dos acciones clave para mejorar las estadísticas. Son necesarias «transformaciones importantes de índole sanitaria, política, legislativa y organizativa», apuntaba el Consejo de Dentistas en la presentación del «Atlas de la Salud Bucodental en España. Una llamada a la acción». Las señales de alarma están sobre la mesa. Esperemos que el trabajo de la OMS no caiga en saco roto e impulse a los gobiernos a tomar medidas de una vez por todas.

Gaceta Dental · N o 357 | Mayo 2023 De una vez por todas. CARTA ABIERTA
Carta abierta

ÍNDICE DE ANUNCIANTES. Gaceta Dental 357

Índice de anunciantes

4 Gaceta Dental · N o 357 | Mayo 2023
AGUILERA DENTAL 39 AKURA 41 y 111 ÁVILA MAÑAS Int. Portada BIOINNOVACIÓN DENTAL 161 BTI 9 BUKORENT 45 CEU - UNIVERSIDAD CARDENAL HERRERA 199 EXPADENT 151 FLUOCARIL 173 FUNDACIÓ LLUÍS ALCANYÍS 203 GECKO 105 HENRY SCHEIN 182-183 I2 IMPLANTOLOGÍA 131 IDEOD 91 INVISALIGN 23 IPG DENTAL 99 IVOCLAR 141 e Interior contraportada LABORATORIO DROIDENT 175 MEGAGEN 178-1 79 NSK Desp l. Contraportada NORMON Por tada ORTOPLUS 5 y 35 OSSTEM 155 OSTEÓGENOS 163 y 18 6-187 RADHEX 118-119 RENFERT 153 RIL 171 RUMAR 11 SALUGRAFT 61 SDI 71 SECIB 197 SEI 201 SIMPLERAPID 189 SMART IMPLANT SOLUTIONS 127 STRAUMANN 135 TALENTUA 169 TECHNOLOGY IN BIOMATERIALS 125 TICARE 7 TODO CADCAM 157 ULTRADENT 129 UNIVERSIDAD COMPLUTENSE DE MADRID - UCM 191 VITA Cont raportada VOCO 107 y 20 6-207 ZIACOM 123 ENCARTES ORTOPLUS

Férula de Descarga Digital de Nylon

La primera Férula de Descarga para tratar a pacientes con bruxismo y problemas de la ATM utilizando la tecnología más avanzada en impresión 3D.

Tecnología CAD/CAM para una óptima precisión y adaptación de la férula

Fabricada en Poliamida 12 con certificado en biocompatibilidad Clase IIa

Ligera, cómoda y con una alta resistencia al desgaste y a las fuerzas de la boca

(+34) 952 212 174info@ortoplus.eswww.ortoplus.es atm.ortoplus.es
Escanea el código QR para descargar el catálogo completo

Dr. Enrique Solano Reina Catedrático de Ortodoncia y Odontopediatría de la Facultad de Odontología de la Universidad de Sevilla.

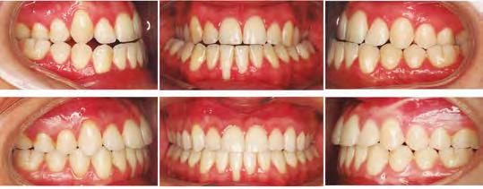
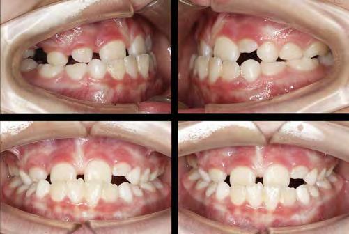
–Corticotomías y Ortodoncia. Ampliando límites del movimiento dental, por la Dra. Aranzazu Senosiain y cols. [50]

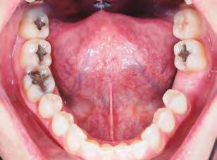
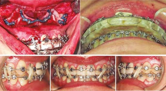
–Tratamiento de un caso de Ortodoncia y Cirugía Ortognática con placas preformadas y tecnología 3D, por la Dra. Elena Bonilla Morente y cols. [62]

–Uso del anclaje esqueletal como alternativa eficiente en el manejo ortopédico de clases III por deficiencia de maxilar superior, por el Dr. Carlos Becerra y cols. [74]

–MARPE, una alternativa a la disyunción en el paciente adulto, por el Dr. Enrique Solano y cols. [88]

Ortodoncia interdisciplinar, un enfoque colaborativo para el tratamiento integral de maloclusiones

Protocolo Di gitalArch®️ 2.0: técnica de colocación, por el Dr. Luis Cuadrado Canals y cols.

6 Gaceta Dental · N o 357 | Mayo 2023 SUMARIO SUMARIO Encuentro Especial Ortodoncia Especial Ortodoncia Planificación facialmente guiada, la gran aliada para odontólogos y pacientes 8 50 32 Especial Ortodoncia 42
Digital al día 120

Cambra

Quiero digitalizar mi clínica dental: ¿por dónde empiezo? Transformación digital (I), por el Dr. Giuliano Fragola.

digital

170

8 SUMARIO Gaceta Dental · N o 357 | Mayo 2023
158
148
digital
Tecnología e Innovación
Rincón
166
IA, el nuevo impacto tecnológico en el sector odontológico, por Juan M. Molina. Marketing
192 Congresos Congreso SEPA + FIPP 2023
Clinic
Imagen corporativa: ¿cómo transmito la personalidad de mi clínica?, por Javier Rioja.
BTI Biotechnology Institute Tel: (+34) 945 140 024 | info@bticomercial.com | bti-biotechnologyinstitute.es • Carga inmediata en maxilares atróficos. • Mayor predictibilidad y menor morbilidad para el paciente. • Mayor aceptación de tratamientos. ACORTA TUS TRATAMIENTOS CON SOLUCIONES BTI www.bti-biotechnologyinstitute.com IMPLANTES CORTOS BTI DESDE SÓLO 4,5 mm. Radiografía a los 9 años

Créditos portada: «Naturaleza plástica» Yesica Golderos Cañizares

Peldaño DIRECTORA

EDITA

Gema Bonache gbonache@gacetadental.com

PUBLICIDAD

Ana Santamaría ana@gacetadental.com

Marta Pérez marta@gacetadental.com

SOCIAL MEDIA

Marina Hernández mdhernandez@peldano.com

Arianna González agonzalez@peldano.com

SUSCRIPCIONES Y DISTRIBUCIÓN

Remedios García

Laura López suscripciones@peldano.com 902 35 40 45

BUSINESS UNIT MANAGER

Miguel Ángel Cañizares miguelangel@gacetadental.com

BUSINESS UNIT CONTROLLER

Daniel Navarro dnavarro@peldano.com

REDACTORA JEFE

Gema Ortiz gortiz@gacetadental.com / redaccion@gacetadental.com

COPYWRITERS

Beatriz Ruiz brcorvillo@gacetadental.com

Sandra Rodríguez srodriguez@gacetadental.com

Juan

JEFE DE PRODUCCIÓN

OFICINAS Y REDACCIÓN

Avda. Manzanares, 196 28026 Madrid

91 476 80 00

CONSEJO DE INNOVACIÓN Y EXCELENCIA

Débora Martín Verónica Gil Cristina Corchuelo Lydia Villalba

IMPRIME mccgraphics

Txirrita-Maleo Biribil, 11 20100 Errenteria, Gipuzkoa

REDACTORA

Patricia Merino pmerino@gacetadental.com

TIENDA GD

Francisco Soriano paco@gacetadental.com

Jorge Cacuango jorge@gacetadental.com

DIRECTORA DE ADMINISTRACIÓN

Anabel Lobato

DEPÓSITO LEGAL

M.35.236-1989

ISSN

1135-2949

CIENCIA Y CLÍNICA: Dr. José Aranguren, Dra. Estefanía Laguna, Dr. Juan López-Quiles, Dra. Estefanía Moreno, Dr. Jesús Peláez Rico, Dr. Luis Segura-Mori · FORMACIÓN Y CONOCIMIENTO: Dr.Juan Carlos Vara, Dra. María José Muñoz, Dr. Simón Pardiñas · TECNOLOGÍA E INNOVACIÓN: Dr. Luis Cuadrado de Vicente, Dra. Irene García

INTERNACIONAL: Dr. Joao Caramés, Dr. Cristian Abad

Presidente: Ignacio Rojas · Director Financiero y de Talento: Daniel R. Villarraso · Director de Eventos: David Rodríguez · Director de Marca y Estrategia: Eneko Rojas · Director de Estrategia de Contenidos: Adrián Beloki · Directora de Estrategia Digital Comercial: María Rojas · Chief Digital O icer: Pau Colás

Los artículos científicos y clínicos que se publican en Gaceta Dental son supervisados por un grupo de expertos en las distintas ramas de la Odontología. Gaceta Dental no se identifica necesariamente con las opiniones expresadas libremente en sus páginas por los colaboradores.

Publicación autorizada por el Ministerio de Sanidad como soporte válido. Ref: S.V 89057 R. Premio aeepp a la mejor revista de 2008 | 1er Accesit al Mejor Editor, años 2004 y 2007 | Premio «Pro-Odontología» de la Sociedad Catalana de Odontología y Estomatología (scoe) 2009 | Premio «Fomento de la Salud» del Consejo General, 2005 | Premio del Colegio de Protésicos de la Comunidad de Madrid a la Trayectoria Profesional 2009 | Insignia de oro Colegial del COEM 2013.

AVISO LEGAL Y TRATAMIENTO DE DATOS

La opinión de los artículos publicados no es compartida necesariamente por la revista, y la responsabilidad de los mismos recae, exclusivamente, sobre sus autores. Cualquier forma de reproducción, distribución, comunicación pública o transformación de esta obra solo puede ser realizada con la autorización de sus titulares, salvo excepción prevista por la ley, y en el caso de hacer referencia a dicha fuente, deberá a tal fin ser mencionada

GACETA DENTAL editada por Peldaño, en reconocimiento de los derechos regulados en la Ley de Propiedad Intelectual vigente, que como editor de la presente publicación impresa le asisten. Los archivos no deben modificarse de ninguna manera. Diríjase a CEDRO (Centro Español de Derechos Reprográficos) si necesita fotocopiar o escanear algún fragmento de esta obra (www.conlicencia.com / 917 021 970 / 932 720 445). De conformidad con lo dispuesto en el Reglamento (UE) 2016/679 del Parlamento Europeo y del Consejo, de 27 de abril de 2016, relativo a la protección de las personas físicas en lo que respecta al tratamiento de datos personales y a la libre circulación de estos datos y por el que se deroga la Directiva 95/46/CE, y de conformidad con la legislación nacional aplicable en materia de protección de datos, le recordamos que sus datos están incorporados en la base de datos de PELDAÑO MEDIA GROUP, S. L., como Responsable de Tratamiento de los mismos, y que serán tratados en observancia de las obligaciones y medidas de seguridad requeridas, con la finalidad de gestionar los envíos en formato papel y/o digital de la revista, de información sobre novedades y productos relacionados con el sector, así como poder trasladarle, a través nuestro o de otras entidades, publicidad y ofertas que pudieran ser de su interés, de conformidad con el consentimiento prestado al solicitar su suscripción expresa y voluntaria a la misma, cuya renovación podrá ser requerida por Ediciones Peldaño en cumplimiento del citado Reglamento. Le informamos que podrá revocar dicho consentimiento, en cualquier momento y en ejercicio legítimo de los derechos de acceso, rectificación, cancelación, oposición, portabilidad y olvido, dirigiéndose a PELDAÑO MEDIA GROUP, S. L., Avda. Manzanares, 196. 28026 Madrid, o al correo electrónico distribucion@peldano.com.

10 Gaceta Dental · N o 357 | Mayo 2023 STAFF
pacientes neurológicas demencias ¿por dónde empiezo? gacetadental.com
1 AÑO SUSCRIPCIÓN 2 AÑOS 50€ 87€ 124€ España Europa Resto 87€ 152€ 194€ España Europa Resto
SUSCRIPCIÓN
HEAD OF DESIGN
Luis Cachadiña
Miguel Fariñas DISEÑO Y MAQUETACIÓN
GACETADENTAL.COM ACCEDE A LOS DATOS DE SUSCRIPCIÓN

Qué leer

Los 5 mejores libros de Periodoncia de la Tienda

Gaceta Dental

¿Quieres ponerte al día con las últimas técnicas y avances sobre Periodoncia? Si es así, desde Gaceta Dental te traemos 5 títulos esenciales que te ofrecen una amplia gama de conocimientos que van desde la anatomía y fisiología oral hasta las técnicas y procedimientos más avanzados de diagnóstico y tratamiento.

12
ACCEDE A MÁS QUÉ LEER EN GACETA DENTAL Gaceta Dental · N o 357 | Mayo 2023 QUÉ LEER

En las páginas de estos 5 libros vas a encontrar descripciones detalladas de los métodos y herramientas más efectivas para el cuidado y tratamiento de la enfermedad periodontal.

Todo ello, acompañado de ilustraciones y fotografías detalladas que te van a ayudar a visualizar los conceptos teóricos y técnicas prácticas. De esta manera, ya seas estudiante o profesional experimentado, vas a poder comprender mejor las diversas patologías, y tener una idea más clara de cómo llevar a cabo las intervenciones de tratamiento más adecuadas para cada paciente.

Aquí va nuestro top 5 de libros de Periodoncia de la Tienda Gaceta Dental que seguro que van a sorprenderte.

1. ATLAS DE PERIODONCIA. TÉCNICAS MÍNIMAMENTE INVASIVAS Y MICROQUIRÚRGICAS de los Dres. Márcio

Fernando de Moraes Grisi y Daniela Correa Grisi (2020).

Para los autores Márcio Fernando de Moraes Grisi y Daniela Correa Grisi, las cirugías y técnicas mínimamente invasivas deben ser tomadas como procedimientos de rutina, ya que producen menos molestias, menos complicaciones posquirúrgicas y un máximo bienestar del paciente. No obstante, los doctores Moraes Grisi y Correa Grisi han querido desmitificar la idea de que la realización de los procedimientos mínimamente invasivos solo pueden hacerse con el uso de equipos extremadamente sofisticados.

Ante estas premisas, los autores idearon un atlas dedicado específicamente a los procedimientos periodontales mínimamente invasivos. A lo largo de sus 22 capítulos encontramos desde cómo trabajar con lupas prismáticas, microscopios y todo tipo de instrumental, hasta la presentación del paso a paso de las diferentes técnicas no quirúrgicas y quirúrgicas mínimamente invasivas. Los autores han buscado en cada técnica su comparativa con las técnicas convencionales, apoyándose siempre en las evidencias científicas más recientes.

Los temas de cada capítulo han sido organizados y subdivididos con mucho acierto, ya que los autores quieren que este libro pueda ser consultado en el día a día de la clínica.

2. EL IMPLANTE DENTAL UNITARIO. UN ENFOQUE MÍNIMAMENTE INVASIVO PARA LOS ALVÉOLOS POSEXTRACCIÓN ANTERIORES Y POSTERIORES de los Dres. Dennis P. Tarnow y Stephen J. Chu (2020). El Dr. Dennis P. Tarnow ha publicado más de 50 artículos

¡VISÍTANOS EN SEPA 23!

Si quieres conocer más detalles sobre alguno de estos 5 libros de Periodoncia o adquirirlos, puedes elegir entre acceder ahora mismo a nuestra Tienda Gaceta Dental online (https:// tienda.gacetadental.com/) o venir a visitarnos al stand de Gaceta Dental que tendremos en el congreso de SEPA 23 en Sevilla, desde el 31 de mayo hasta el 3 de junio.

Además de estas 5 propuestas, también vas a descubrir otros títulos relacionados con la Periodoncia, así como otras disciplinas de la Odontología, escritos por autores de referencia en el sector dental. Con tanta opción, seguro que encontrarás el libro que tanto necesitas para seguir formándote.

¡ACCEDE A LA TIENDA GACETA

DENTAL!

13
Gaceta Dental · N o 357 | Mayo 2023 QUÉ LEER

Organiza:

Impulsa:

Tenemos un libro para cada profesional dental

tienda.gacetadental.com y elige: ¿cuál es el tuyo?

¡Accede a la tienda!

¿QUIERES EDITAR TU PROPIO LIBRO?

Si quieres editar tu propio libro y poner a disposición de tus colegas todos tus conocimientos científicos y experiencia en Odontología, esta es tu oportunidad.

En Gaceta Dental podemos ayudarte a editar y publicar tu próximo libro, de forma rápida y sencilla. Contacta con nosotros y te informaremos de cuáles son las condiciones que te permitirán editar tu propio libro de contenido científico y divulgativo que sea de interés para los diferentes profesionales del sector dental.

¡Esperamos tus proyectos!

Manda un email a francisco@gacetadental. com o jorge@gacetadental. com y te ayudaremos.

progresiva el diagnóstico, desde lo más simple a lo más complejo, empezando por la historia y fundamentos de los implantes unitarios anteriores y posteriores, pasando por los tres tipos de alvéolos posextracción -tipo 1, tipo 2 y tipo 3- y sus diversas indicaciones y limitaciones; hasta terminar con un apéndice de casos clínicos que detalla 11 casos de reposiciones unitarias en todos los tipos de alvéolos posextracción que se han ido describiendo anteriormente. El resultado es un libro muy ágil y fácil de entender, ya que está escrito por clínicos y dirigido a los clínicos. Sin duda, ¡un libro que no te puedes perder!

3. PERIO-IMPLANTOLOGÍA

ESTÉTICA de los Dres. Julio César Joly, Paulo F. Mesquita y Robert Carvalho da Silva (2018). Los tres autores de PERIOIMPLANTOLOGÍA ESTÉTICA, Julio César Joly, Paulo F. Mesquita y Robert Carvalho da Silva, ya habían trabajado previamente en otra publicación dedicada a la Implantología, por lo que esta última obra viene a ser la culminación de sus largas y extensas investigaciones y experiencias en el campo de la Cirugía mucogingival estética y de la Odontología de implantes.

científicos sobre Perio-Prostodoncia y Odontología de implantes, además de haber sido coautor de diferentes libros, como es este caso.

Junto con Stephen J. Chu, ha elaborado un libro basado en sus propias experiencias clínicas y de investigación, con la atractiva ventaja que supone el uso de un lenguaje claro y directo.

Los 7 capítulos en los que se divide esta obra abordan de forma

Basándose en la evidencia científica y en sus propias experiencias, los autores han logrado establecer una serie de protocolos estéticos muy innovadores que van a ayudar al lector a tratar las diferentes complicaciones mucogingivales en Implantología.

El libro consta de 10 capítulos dedicados a un caso clínico diferente en el que se explica el diagnóstico y las distintas opciones de tratamiento.

16
Gaceta Dental · N o 357 | Mayo 2023 QUÉ LEER

Cada procedimiento quirúrgico y restaurador avanzado está precedido por la investigación científica, los antecedentes históricos y las experiencias clínicas que, en su momento, desarrollaron los autores. Todo ello explicado también con máximo detalle fotográfico.

y Sergio Kahn (2018).

¿Te interesa la sonrisa gingival? Ya sabemos que esta es una entidad clínica muy compleja y relativamente frecuente, que presenta diversas etiologías explicadas en esta obra de los Dres. Alexandra Tavares Dias y Sergio Kahn.

La publicación de 21 capítulos se divide en tres partes didácticas. Un primer bloque de estos capítulos describe los principios biológicos. El segundo se dedica a ofrecer cuáles son los pasos importantes relacionados con el acto quirúrgico para corregir la sonrisa gingival.

Finalmente, el tercer bloque de esta publicación se dedica a exponer la resolución de forma multidisciplinar (visión ortodóntica, visión de la Cirugía y Traumatología bucomaxilofacial, restauraciones directas e indirectas, etc.) con distintos recursos tecnológicos dirigidos a la cirugía de corrección, así como el uso de la toxina botulínica o de la Ortodoncia.

Por esta razón, esta publicación resulta de máximo interés tanto para cirujanos, ortodoncistas, especialistas en Estética y, por supuesto, para periodoncistas, con el fin de que puedan aprender con más detalle todo lo referente a la sonrisa gingival.

5. UNFOLDING PERI-IMPLANTITIS. DIAGNOSIS, PREVENTION, MANAGEMENT de los Dres. Alberto Monje y Hom-Lay Wang (2022).

Nuestra última propuesta desde la Tienda de Gaceta Dental es la reciente obra de los doctores Alberto Monje y Hom-Lay Wang, que ya está disponible en lengua inglesa.

En sus 22 capítulos dedicados a la periimplantitis, los autores comparten sus métodos que van desde la prevención hasta la regeneración, así como la toma de decisiones ante las complicaciones quirúrgicas que requieren elegir entre salvar un diente o colocar un implante.

Un odontólogo bien preparado resuelve esta decisión basándose en su experiencia previa y en la terapéutica recientemente aprobada, y es aquí donde este libro proporciona información actualizada sobre las diferentes soluciones necesarias para manejar la periimplantitis y lograr los resultados más óptimos. ●

17
4. SONRISA GINGIVAL. UNA VISIÓN MULTIDISCIPLINARIA de los Dres. Alexandra Tavares Dias
Gaceta Dental · N o 357 | Mayo 2023 QUÉ LEER
«Con este top 5 en Periodoncia podrás comprender mejor las diversas patologías, y tener una idea más clara de cómo llevar a cabo las intervenciones de tratamiento más adecuadas para cada paciente»

Planificación facialmente guiada, la gran aliada para odontólogos y pacientes

Proporcionar al paciente un cuidado dental integral mínimamente invasivo se ha convertido en una máxima para muchos clínicos. Un objetivo que pasa necesariamente por digitalizar los flujos de trabajo. Y es que la tecnología se ha convertido en la gran aliada de los profesionales de la clínica dental, quienes, gracias a las herramientas digitales, alcanzan una mayor predictibilidad en sus tratamientos, consiguen optimizar su tiempo, mejoran la comunicación con su laboratorio y ofrecen a sus pacientes una experiencia del máximo nivel.

18 Encuentros
Gaceta Dental · N o 357 | Mayo 2023 ENCUENTROS
De izda. a dcha. los Dres. Roberto Manrique, Luis Ilzarbe, Lorena Mingotti, Marià Santamaría, Beatriz Martín y Juanjo Iturralde.

La imparable incorporación de las herramientas digitales a la Odontología ha cambiado de forma radical el quehacer de los profesionales en el diagnóstico, planificación y desarrollo de sus tratamientos. Mejorar la predictibilidad de estos últimos, así como la eficiencia o la experiencia del paciente, y aumentar la rentabilidad, gracias a la optimización de los tiempos, pasan, precisamente, por digitalizar los flujos de trabajo clínicos. De este modo, se aporta al paciente un cuidado dental integral

mínimamente invasivo, lo que para el odontólogo restaurador implica proporcionarle tratamientos digitales orto-restaurativos facialmente guiados. Y es que poder realizar el diseño de la sonrisa, el diseño de la prótesis, la planificación ortodóntica y el análisis de la masa dental que se conserva gracias a la integración del movimiento dental en la planificación protésica , ya es posible gracias a herramientas como el sistema Invisalign Smile ArchitectTM , software de Align TechnologyTM que engloba todo el proceso en una única plataforma.

19
Iturralde.
Gaceta Dental · N o 357 | Mayo 2023 ENCUENTROS
«Align TechnologyTM es la primera compañía que ha conseguido integrar en una única plataforma digital, diseño de sonrisa, planificación protésica y planificación ortodóncica»

De todo ello, hablamos en un encuentro de trabajo organizado por Gaceta Dental que, bajo el patrocinio de Align Technology, contó con la presencia de seis dentistas con perfiles multidisciplinares, abanderados, apasionados de la Odontología digital y expertos en la planificación digital de tratamientos orto-restaurativos facialmente guiados y usuarios de Invisalign Smile ArchitectTM , la primera solución que integra, en una única plataforma, diseño digital de sonrisa, planificación protésica, planificación del movimiento dental previo a la restauración.

En concreto hablamos con los Dres. Luis Ilzarbe Ripoll, Beatriz Martín Nieto, Lorena Mingott i, Roberto Manrique, Juanjo

Iturralde y Marià Santamaría con quienes establecimos un amplio y enriquecedor debate que dio comienzo con el papel que ha jugado la digitalización en la evolución del perfil del odontólogo, y más específicamente, en la evolución del perfil del odontólogo restaurador.

Para el Dr. Luis Ilzarbe, «la digitalización te ayuda a comunicarte mejor con el paciente y con el equipo y te facilita más información. Vemos al paciente como un todo. Y está claro que cuanta más información tengamos, mucho mejor funcionará nuestro tratamiento. La ventaja de la digitalización es el soft ware. Me da una perspectiva clínica que antes no tenía, y que es imposible obtener de manera analógica».

De igual manera, la Dra. Beatriz Martín considera que «genera dos cuestiones muy importantes. Una es la integración de los datos, poder valorar todos los archivos de un paciente de una forma conjunta. Esto nos permite hacer mejores diagnósticos, mejores planificaciones y, al final, ejecutar el tratamiento de una manera más adecuada y mucho más simple. Y luego es una herramienta de comunicación, de cara al paciente, impresionante. Podemos enseñarle cómo va a quedar el tratamiento final, y eso es un cambio abismal».

En sintonía con sus compañeros, el Dr. Marià Santamaría aseguraba que «cuando das el cambio y ves la cantidad de información que recibes en el mundo digital, comparándolo con el mundo analógico, te das cuenta de que no tiene nada que ver. Ahora un paciente puede ver cuál es su situación inicial, cuál es la previsión de cómo va a acabar el tratamiento y cuál será la

20
«Siendo digital eres más eficiente, lo que te permite ser más competitivo y ofrecer un mejor tratamiento a los pacientes»
Dr. Luis Ilzarbe
Gaceta Dental · N o 357 | Mayo 2023 ENCUENTROS
MÁS DETALLES EN EL CANAL DE YOUTUBE DE GD

planificación restauradora. Quizás los que estamos aquí somos los que vamos en el vagón de delante echando el carbón a la locomotora. Somos profesionales a los que nos gusta aprender e investigar. Pero, hoy en día, el paso digital en el sector dental ya se ha dado. Es un cambio que no tiene vuelta atrás».

Asimismo, el Dr. Roberto Manrique afirmaba que «la digitalización nos ha hecho mejores dentistas. Al dentista que trabaja en analógico le falta mucha información que ahora tenemos. Sin todas estas herramientas digitales no puedes diagnosticar de forma tan precisa. Hoy el paciente viene a la clínica, le tomamos el escáner, un CBCT, se va y podemos seguir estudiándolo

en casa. Este paciente digital nos permite diagnosticar mejor, conseguir una mejor rehabilitación o una mejor solución a sus problemas, que es lo que como profesionales queremos todos».

AHORRO DE TIEMPO

En este aspecto quiso también hacer hincapié la Dra. Lorena Mingott i, para quien «es muy importante el ahorro de tiempo de trabajo, porque, gracias a todas las herramientas que tenemos hoy en día, ganamos tiempo en el diagnóstico, en la planificación, y en la comunicación con el laboratorio. Porque, una vez que escaneamos al paciente, ya nuestro laboratorio tiene todos los registros».

«Nosotros invertíamos muy poco tiempo en diagnosticar, por desgracia, y mucho tiempo en ejecutar. Y eso ha dado la vuelta por completo. ¿Qué nos pasaba? Que llegábamos al proceso de ejecución y nos frustrábamos porque las cosas no salían como nosotros queríamos. Ahora, invertimos mucho más tiempo en la fase de planificación, que es la que nos llevamos al despacho, porque hay que hacerlo en paz y tranquilidad», destacó en este punto la Dra. Martín.

Teniendo en cuenta dicho ‘ahorro de tiempo de sillón dental’ que permite a los profesionales atender a más pacientes, y que apostar por la digitalización ya no se considere tanto como un gasto sino como una inversión necesaria, uno de los frenos para no lanzarse a ella podría ser la dificultad con respecto a su curva de aprendizaje.

En este sentido, para el Dr. Juanjo Iturralde, «tampoco tiene nada que ver la curva de aprendizaje que teníamos en los inicios con la actual.

«Antes invertíamos muy poco tiempo en diagnosticar, por desgracia, y mucho en ejecutar. Y eso ha dado la vuelta por completo»
21 Gaceta Dental · N o 357 | Mayo 2023 ENCUENTROS
Dra. Beatriz Martín

Ahora es más suave, con otra gran ventaja que implica tener al paciente monitorizado. A día de hoy, podemos saber la evolución de la boca de un paciente. Ya no sólo de la posición de los dientes con el paso de los años, sino en el desgaste, además de poder solapar imágenes del antes y el después. Podemos ver esa evolución que antes era imposible».

Para la Dra. Martín, «digitalizar los flujos de trabajo es hoy más fácil que nunca, sobre todo, con un socio como Align. Se trata de darle la vuelta a tu manera de trabajar en la consulta, un proceso que requiere una formación del personal y una adecuación de todo el equipo de la clínica. Pero sí que creo que otro freno aún es la inversión -apuntó la Dra. Martín-. Existe la idea preconcebida de que la digitalización requiere unos costes excesivos. Al final, cada herramienta que tú vas adquiriendo te supone un coste, sí, pero te va a ahorrando también

INVISALIGN SMILE ARCHITECT™, EL SOFTWARE DEL FUTURO

Align Technology presentó recientemente Invisalign Smile ArchitectTM , una revolucionaria herramienta, que permite y facilita muchos procedimientos invasivos del pasado en tratamientos mínimamente invasivos centrados en el paciente. Con él, los profesionales pueden diseñar un plan de tratamiento orto-restaurativo digital fácilmente guiado, adaptado a las necesidades de sus pacientes, desde la primera consulta. En definitiva, un software de planificación diseñado para ayudar al clínico a obtener unos resultados más predecibles en la planificación de sus casos. Y es que Invisalign Smile ArchitectTM integra en una sola plataforma el diseño de la sonrisa, el diseño de la prótesis, la planificación ortodóntica y el análisis de la masa dental que se conserva gracias a la integración del movimiento dental en la planificación protésica.

Como afirma la Dra. Lorena Mingotti, «con Invisalign Smile ArchitectTM tenemos la predictibilidad del tratamiento restaurativo. También a nivel comunicativo con nuestros pacientes es una herramienta espectacular, porque les enseñamos, mediante fotos, cómo se va a ver al iniciar el tratamiento y al término del mismo con las restauraciones gracias el diseño que hemos planificado».

22 Gaceta Dental · N o 357 | Mayo 2023 ENCUENTROS
«A día de hoy, debemos pasar de la Odontología del diente a la Odontología enfocada a la sonrisa y al paciente» Dr. Marià Santamaría

otros desde el mismo momento en el que las adquieres. Se genera un equilibrio gastos-beneficios. No es un coste tan alto y, además, no hace falta hacer toda la inversión en un momento determinado, puedes seguir una trayectoria. Cada clínica tiene unas circunstancias y necesidades diferentes, y tiene que adecuar la digitalización a su propia forma de trabajo».

Ahondando en la transformación de los profesionales gracias al uso de las herramientas digitales, el Dr. Santamaría afirma que cree en la digitalización, «porque los resultados que obtengo son buenos y constantes. Lo que hay que cambiar un poco es la forma que tenemos

los dentistas de pensar en tiempos, sillón, quitar diente, poner implante… Pasar de la Odontología del diente a la Odontología enfocada a la sonrisa y al paciente».

PLANIFICACIÓN FACIALMENTE GUIADA

¿Por qué apostar por la planificación fácilmente guiada? «Porque sin ella nos faltan datos». Así lo expresaba la Dra. Martín, al asegurar que «uno de los grandes problemas que teníamos y por el que no salían bien las restauraciones era porque nuestros datos estaban desconectados en el espacio.

Teníamos los datos del CBCT, el modelo montado en articulador, las fotografías del paciente, todo en diferentes sitios en el espacio. Tenías que hacer un esfuerzo mental para integrar todo eso en un único archivo, y es imposible. Entonces es casi imposible, si tú haces las cosas bien, que inclines una línea media o que tengas un problema en el plano oclusal, porque significará que la integración de datos está mal hecha. Pero si tú has hecho todo eso bien, que es donde inviertes el tiempo, prácticamente, en una o dos pruebas, como mucho, tienes el trabajo hecho. Porque, una vez que has pasado la aceptación del encerado diagnóstico, es decir, que ya estás de acuerdo con el tratamiento y el paciente también, el tiempo de ejecución, a todos los niveles, no solo restaurador, sino quirúrgico, es rapidísimo y sin estrés. Trabajamos tranquilos y, claro, somos más felices.

Trabajar con tranquilidad hace que profesionalmente y personalmente te encuentres mejor».

Por su parte, el Dr. Ilzarbe se refería también a los beneficios de

24
«La digitalización nos ha hecho mejores dentistas. Sin las herramientas digitales no podemos diagnosticar de forma tan precisa»
MÁS INFORMACIÓN SOBRE EL SISTEMA INVISALIGN GO TM 24 Gaceta Dental · N o 357 | Mayo 2023 ENCUENTROS
Dr. Roberto Manrique

la planificación facialmente guiada para el odontólogo restaurador y su paciente al afirmar que «antes era imposible conectar todos los puntos porque eran distintos lenguajes. Ahora es relativamente sencillo unir toda esa información que para nosotros, en cualquiera de las especialidades, es muy importante. Más información, menos fallo humano, si sabes cómo utilizar esa información a tu favor o en el beneficio de tu especialidad. Al final tienes mucho más control porque tienes más datos en cada situación particular, a nivel del dentista, y a nivel del técnico de laboratorio. Nos permite, en cierta manera, a la clínica estar más dentro del laboratorio y al laboratorio estar más en la clínica».

MOVIMIENTO DENTAL Y MÍNIMA INVASIÓN

Otro de los temas que se trataron a lo largo del encuentro fue el del movimiento dental como extensión natural del odontólogo restaurador y, por ende, su integración en la planificación protésica, con el fin de que los tratamientos sean lo más mínimamente invasivos posible.

A este respecto, la Dra. Mingott i aseguraba: «a mí me ha cambiado la manera en que trabajo. El tener en un mismo soft ware toda esta planificación de los movimientos dentales basados en mi tratamiento restaurador es increíble, porque, además, siento que lo tenemos a mano para realizar una Odontología mínimamente invasiva gracias a un movimiento dental previo. Voy a mover y voy a crear el espacio que necesito para la restauración».

Como confirmaba el Dr. Ilzarbe, «se trata de tener un plan, un eje de coordenadas, y que todas las piezas del puzzle encajen en el mismo plan. Si podemos, a través de líneas, fijar un plan y mover mi diente, que es mi sustrato, mi columna y mi sostén, dentro de esas coordenadas, para después trabajar con nuestros materiales restauradores, es una ayuda increíble y, a día de hoy, lo puedes conseguir empezando con una simple foto».

Tal y como afirmaba la Dra. Martín, «ahora, puedes hacer la planificación de ortodoncia preprotésica, exportar ese modelo, importarlo para poder fabricar un dispositivo y probarlo en la boca del paciente antes de realizar el

25
«Con Invisalign Smile
ArchitectTM tenemos la predictibilidad del tratamiento restaurativo. También a nivel comunicativo con nuestros pacientes es espectacular»
Dra. Lorena Mingotti
Gaceta Dental · N o 357 | Mayo 2023 ENCUENTROS
MÁS INFORMACIÓN SOBRE EL SISTEMA INVISALIGN GO TM

tratamiento».

Para el Dr. Ilzarbe, «lo bueno que tiene tenerlo todo con un soft ware único, es que te permite juntar tres lenguajes distintos en una misma plataforma, de una manera eficiente. Realmente lo que haces es hablarle al paciente en un idioma que él conoce, que es su cara. Tú le tienes que explicar al paciente el porqué de tu toma de decisiones. Yo no decido mover los dientes porque a mí me haga ilusión, lo hago porque quiero conseguir el mejor resultado. Estas herramientas te ayudan a explicar el porqué de cada uno de los pasos que vas a dar. Esas cosas subjetivas que el paciente siente, de alguna manera, las objetivizamos dentro de un diagnóstico clínico, un procedimiento, un protocolo y una técnica».

Profundizando más en las ventajas de apostar por el flujo digital, con herramientas como Invisalign Smile ArchitectTM , el Dr. Santamaría

quiso añadir que «ahora hay un enfoque nuevo para la Odontología restauradora, menos invasivo. Hay que valorar el tratamiento por los resultados obtenidos para el paciente, no para el dentista. Al final, el que recibe el tratamiento es una persona. Y aportando todo este flujo de trabajo, creo que le vamos a ahorrar a muchos pacientes tratamientos mucho más invasivos».

Del mismo modo, el Dr. Manrique aseguraba que «esta herramienta lo que nos está dando es la posibilidad de diagnosticar mejor y, por ende, el gran beneficiado es el paciente. Diagnosticando mejor tocamos menos diente, movemos en la posición que deseamos y, así, lo que le hagamos le durará mucho más tiempo y la experiencia de paciente será mucho más positiva, que es lo que queremos». Pero para afrontar la imparable evolución digital, es necesario un

¿HACIA DÓNDE SE DIRIGE EL FUTURO TECNOLÓGICO?

Respecto a cómo evolucionan y evolucionarán los avances tecnológicos en un futuro más o menos cercanos, el Dr. Roberto Manrique aseguró que «compañías como Align, que están apostando mucho por la evolución, realizará mejoras para facilitar, todavía más, nuestro trabajo. Quizás reduciendo el tiempo de la planificación, porque el diagnóstico será aún más preciso y más rápido de obtener. En cinco años diremos: ¿te acuerdas de cuándo teníamos que tomar una foto del paciente?».

En opinión del Dr. Ilzarbe, «la evolución la marcará la capacidad de integrar, cada vez, más información. La clave está en el manejo de esa información, que probablemente se hará a través de algoritmos o de inteligencia artificial, que nos ayude a imejorar nuestros procedimientos. A nivel de soft ware y tecnología es brutal todo lo que queda por venir».

Incidiendo en este futuro prometedor, la Dra. Lorena Mingotti afirmaba que «dentro de nada vamos a tener mock up virtuales de nuestros pacientes en vídeo, en lugar de en fotografía. Vamos a poder enseñarle a nuestro paciente, no solo una fotografía de cómo va a quedar, sino un vídeo explicándole todo el tratamiento, tanto de alineación como restaurativo. Es un ejemplo claro de que la tecnología va a pasos agigantados».

26
Gaceta Dental · N o 357 | Mayo 2023 ENCUENTROS

cambio de mentalidad real para enfocarse hacia una Odontología mínimamente invasiva. A este respecto, la Dra. Beatriz Martín insistió en que «cualquiera que se haya dedicado a estética mucho tiempo, y haya tallado mucho, ha tenido esa necesidad desde hace muchos años, porque al odontólogo, de por sí, obviamente le duele tallar diente. Entonces llega un momento en el que tú buscas la manera de hacer lo mismo, pero haciendo mucho menos daño a la estructura dentaria. Y yo creo que así acabamos todos aquí».

En este punto, el Dr. Ilzarbe añadió que «la experiencia te lleva a tocar menos los dientes porque sabes lo que cuesta restituirlos. Hemos aprendido a respetar el máximo del diente porque sabemos lo que

DEL PACIENTE ANALÓGICO AL PACIENTE DIGITAL

Los avances tecnológicos no son únicamente grandes aliados para el profesional a nivel de diagnóstico o planificación, sino que también se han convertido en la mejor herramienta de comunicación con el paciente, quien puede observar, de forma muy visual, el antes y el después de su tratamiento, entenderlo y vivirlo de principio a fin junto con su dentista de confianza. Es tal la irrupción de la tecnología en las clínicas que entre los profesionales ya se habla del paciente digital. Para la Dra. Beatriz Martín, «un paciente digital es un archivo único que permite unificar toda la información que tenemos sobre él. Es poderte llevar a ese paciente a tu casa, pero, además, poderlo visualizar mejor de lo que lo veías en el sillón porque en la clínica no tenías capacidad de valorarlo de dentro a fuera y ahora lo vas a poder ver en todas sus capas. Esto nos permite trabajar de una forma mucho más coherente, valorar más cantidad de información, llegar a un diagnóstico mucho más correcto y hacer una planificación que esté guiada facialmente. Es decir, todo lo que nosotros vamos a hacer con nuestro modelo que hemos obtenido en ese escáner intraoral vamos a poder visualizarlo en la cara del paciente. Y esto se lo vamos a poder mostrar en tiempo real y lo podremos ejecutar en nuestra restauración definitiva. Al final lo que creamos es un único archivo que puede ser utilizado en todo el proceso del tratamiento integral de nuestro paciente». En definitiva, y tal y como afirmaban las Dras. Mingotti y Martín, «Align es un proveedor único y solo ellos pueden integrar todas las herramientas que te permiten llevar a cabo un tratamiento orto-restaurativo de principio a fin»

27
«La curva de aprendizaje de la Odontología Digital es mucho más suave que en sus inicios»
Gaceta Dental · N o 357 | Mayo 2023 ENCUENTROS
Dr. Juanjo Iturralde

cuesta conseguir algo la mitad de parecido al esmalte».

«Hemos pasado de una Odontología donde se realizaban coronas de recubrimiento total a valorar la importancia de lo que es trabajar con técnicas menos invasivas», continuó la Dra. Martín. «Nosotros sí sufrimos ese cambio, dejamos de tallar para coronas y empezamos a hacer restauraciones indirectas. Y ahí, como valoras la estructura como algo importantísimo, buscas la manera de preservarla al máximo. El siguiente paso era mover el diente para poder conseguir, no lo mismo, sino un resultado mejor y, además, con un ahorro de estructura mucho más importante», puntualizó

«El problema es que con la evolución el diente se mueve, se desgasta y cuando rehabilitas deberías volver a ponerlo en su sitio.

Rehabilitar sin movimiento te supone falta de estabilidad a largo plazo», añadió el Dr. Ilzarbe al respecto.

En este sentido, intervino el Dr. Manrique haciendo referencia al sistema Invisalign Go «la herramienta que ha dado Align Technology a los dentistas generalistas para lograr ese pequeño movimiento, tocar menos el diente y ser más predecible. Podemos conseguir restauraciones más longevas y en un periodo de tiempo corto».

Para la Dra. Martín «cuando se hace un movimiento de ortodoncia puro y duro, lo que se pretende conseguir es la posición final del diente. Cuando vas a hacer un movimiento encaminado a una futura restauración, calibrando ese espacio que va a ocupar ésta a posteriori, lo que buscas es dejar el diente en un sitio donde te permita tallar menos. Es decir, que tienes

28
Gaceta Dental · N o 357 | Mayo 2023 ENCUENTROS
La evolución del odontólogo restaurador hacia tratamientos menos invasivos y más predecibles fue el tema principal del encuentro. MÁS INFORMACIÓN SOBRE EL SISTEMA INVISALIGN GO TM

que saber dónde va la restauración para saber dónde tienes que mover el diente. Y eso no se puede hacer a ojo. La única manera de objetivarlo y de cuantificarlo es planificar el movimiento o la posición de la restauración para calcular realmente el movimiento del diente, su posición».

A este respecto, el Dr. Iturralde quiso añadir que «hay que considerar también el motivo del desgaste de los dientes, no nos tenemos que poner a rehabilitar sin pensar el porqué se han desgastado. Debemos mirar para atrás y pensar que igual el diente no está en la posición idónea y que conviene cambiar su posición para después restaurar. Y al paciente, si se lo explicas bien en la pantalla, lo entiende. Le hemos dado la vuelta al tratamiento. Lo estamos haciendo a la inversa, que es realmente la forma correcta».

«Y está mejorando la función, que es de lo que estamos hablando, de

funció n, no de estética. Estamos reestableciendo la función», puntualizó el Dr. Roberto Manrique, quien quiso proporcionar más datos del protocolo de trabajo: «Align TechnologyTM nos ha proporcionado una serie de herramientas para tener un flujo digital desde que llega el paciente a la consulta. Con un simple escaneado y unas fotos a través de una aplicación del móvil, tenemos ya bastante información para empezar a diagnosticar a nuestros pacientes. Después, dentro del portal Invisalign Doctor Site (IDS), se realiza el enlace directo del escaneado y las fotos y con toda la información se desarrolla el plan de tratamiento de nuestros pacientes. Allí vemos el desgaste o la futura rehabilitación que vamos a hacer, todo el movimiento que necesitamos realizar a este paciente y cómo conseguir unas restauraciones más predecibles. Y todo ello guiado facialmente». ●

INNOVACIÓN, EXPERIENCIA Y CONFIANZA

¿Y qué hace apostar a estos seis destacados clínicos por un socio como Align? «Para mí Align es sinónimo de innovación. Yo siempre digo en mis cursos que el salto al mundo digital hay que darlo de la mano de una empresa que esté siempre ahí. Para mí la confianza en la marca es clave», destacó el Dr. Marià Santamaría.

«El sistema Invisalign lleva muchos años sin parar de crecer. Innovando y evolucionando año tras año», resaltó por su parte el Dr. Juanjo Iturralde.

Las Dras Lorena Mingott i y Beatriz Martín ensalzaron que Align es mucho más que ortodoncia: «Es un proveedor único y solo ellos pueden integrar todas las herramientas que te permiten llevar a cabo un tratamiento orto-restaurativo de principio a fin».

El soporte en la formación y el servicio de atención al clínico fueron otros de los aspectos que valoraron de Align los invitados al encuentro. «Cuando se empieza a usar el sistema Invisalign Go, por ejemplo, necesitas ganar confianza. Y esta se gana a través de la formación y con un buen soporte detrás. La curva de aprendizaje que antes parecía imposible, es hoy mucho más fácil», destacó el Dr. Roberto Manrique.

29
Gaceta Dental · N o 357 | Mayo 2023 ENCUENTROS
Ayuda a los profesionales del sector a triunfar en su carrera CURSOS / POSTGRADOS / MÁSTERES Consulta condiciones y contrata: Anuncia tu curso, máster o postgrado en la guía que batió récords de audiencia en 2022 Una herramienta clave para que odontólogos, higienistas y protésicos definan su futuro gacetadental.com/formacion Impulsa: ANA SANTAMARÍA ana@gacetadental.com 648 234 766 MARTA PÉREZ marta@gacetadental.com 630 369 535

Especial Ortodoncia

Foto: Shutterstock/edwardolive
GD 2019)
Foto: Alejandro Otero Ávila (Candidatura
Premios

DR. ENRIQUE SOLANO REINA

Catedrático de Ortodoncia de la Facultad de Odontología de la Universidad de Sevilla. Director académico de Instituto IDEOD.

Director clínico de Coinsol Dental.

«Siempre he admirado a los grandes clínicos que han sido capaces de aportar soluciones y técnicas que han hecho que la Ortodoncia sea hoy lo que es». Ésta es tan solo una de las revelaciones que el Dr. Enrique Solano Reina, referente nacional y mundial para los profesionales de la Ortodoncia, desvela en esta entrevista en la que aborda, también, asuntos como la digitalización, las últimas tendencias de esta disciplina o su esperado reconocimiento como especialidad odontológica.

32 Especial Ortodoncia
Gaceta Dental · N o 357 | Mayo 2023

—Recientemente fue valorado por el propio colectivo médico y de especialistas de cada área como uno de los mejores estomatólogos de España, siendo el único ortodoncista destacado. ¿Qué supone para usted este tipo de reconocimientos?

—La verdad es que siempre es gratificante un reconocimiento, sobre todo, cuando es por votación de los pacientes y compañeros de la profesión, pero mis 40 años de ejercicio de la Ortodoncia me han enseñado que estamos en continuo aprendizaje y que no hay mayor tesoro que el trabajo en equipo con espíritu de superación y formación continuada, en mi caso rodeado de mis cuatro hijas y mi mujer, Asunción Mendoza. Todas ellas son parte de Coinsol Dental, en sus diferentes especialidades, y sostén de mi vida profesional.

—En líneas generales, ¿cómo describiría la situación actual de la Ortodoncia en España?

—La Ortodoncia en España, al igual que en otros muchos países, ha sufrido profundos cambios, por su continua evolución y la aparición de nuevas técnicas y procedimientos digitales. Este hecho ha derivado en una mayor exigencia de profesionales altamente formados, cuestión que es muy atípica en España al ser el único país de la Unión Europea que todavía no cuenta con un sistema de especialidades, mientras que países de nuestro entorno -como Portugal, Francia, Italia y Grecia- ya gozan del reconocimiento de la especialidad de Ortodoncia y de sus beneficios desde hace más de 15 años. Sin embargo, la formación de nuestros ortodoncistas es reconocida en el mundo de la Ortodoncia y nuestro país presume de auténticos referentes internacionales, contando con el mayor número de Masters NEBEOP (Network of Erasmus Based European Orthodontic Postgraduate Programme) de Europa.

En estos momentos, con la aprobación y a la espera de la puesta en marcha de la Ley de Especialidades de la Salud por el Ministerio de Sanidad, se abre por primera vez un camino claro a seguir, y esperemos que de factible realización, gracias al impulso del Consejo General de Dentistas y a través de las sociedades

científicas representadas en el Consejo (SEDO e AIO), de la Universidad y de las autonomías que lo implanten, ya que cada uno de estos actores tiene un papel fundamental en este proceso.

—A este respecto, ¿cuáles son los principales escollos para que no terminen de reconocerse dichas especialidades en España?

—No fue hasta el 2017, tras la reunión del Consejo Interterritorial de Salud, cuando se acordó desvincular las nuevas especialidades de la troncalidad, hecho que se produjo mediante su derogación, para apostar por su desarrollo independiente a través de sus propios Reales Decretos. Y es justo aquí donde nos encontramos, con la puesta en marcha por el Ministerio de Salud del Real Decreto 589/2022 por el que se regula «La formación transversal de las especialidades en ciencias de la salud» donde se conceptualizan y se desarrollan los requisitos para aplicar una nueva Especialidad o Áreas de Capacitación Específicas (ACEs),

Aunque este nuevo Real Decreto que regula las especialidades en Ciencias de la Salud ha dejado clara la vía de acceso a las mismas, en el caso de la Odontología nos resultará especialmente difícil cumplir algunas de sus normativas como

así como el tipo de pruebas anuales de acceso a plazas de formación. El Dr. Solano (tercero por la izquierda) en el acto de entrega de la acreditación de la certificación NEBEOP en el año 2016 para la Facultad de Odontología de la Universidad de Sevilla.
Gaceta Dental · N o 357 | Mayo 2023 33
Dr. Enrique Solano Reina. ESPECIAL ORTODONCIA

Tras más de cuatro décadas dedicado a la docencia, el Dr. Solano imparte su último año en la Universidad de Sevilla y asegura que cuando «echo la vista atrás, me doy cuenta de lo mucho que he disfrutado y de lo corto que se me ha hecho el camino. Sigo joven de espíritu y ánimo, a la vez que ilusionado por mi nueva etapa como Director académico en el Instituto de Desarrollo Odontológico Digital (IDEOD)».

el acceso a la especialización a través de un sistema de residencia en centros acreditados y la necesidad de esta práctica especializada en, al menos, siete servicios autonómicos de salud y que sea aceptada por la mayoría de las CCAA, siendo esta cuestión, a todas luces, difícil de cumplir por lo que implica como coste para las autonomías y la falta de plazas para odontólogos en el sistema público de salud.

Y, para mayor abundamiento, debemos de saber que la Universidad española tiene impedimentos normativos para que las especialidades se puedan realizar a través de una titulación universitaria, tal como recoge la LOPS. A pesar de todo ello, estoy seguro de que el buen hacer de las partes implicadas y el interés común porque las especialidades odontológicas sean una realidad, tal y como ya ocurre en toda Europa -en especial con la Cirugía Bucal, la Ortodoncia y la Odontopediatría, que tienen implantación

casi en la totalidad de los estados miembros-, nos llevará a buen puerto y sabrá conciliar lo que mayoritariamente es una actividad privada con limitada presencia en el ámbito sanitario público, con un incremento y mayor cobertura de la salud bucodental de los españoles desde el ámbito de la especialización.

—Bajo su punto de vista, ¿cómo debería, entonces, articularse la formación especializada en Ortodoncia?

—Tenemos que partir de La Directiva 2005/36/ CE del Parlamento Europeo y del Consejo, relativa al reconocimiento de cualificaciones profesionales, como La Directiva 2013/55/UE (posterior modificación), que establecen que la especialización debe durar como mínimo tres años con un contenido académico y clínico definido, y debe realizarse en instituciones aprobadas por la autoridad competente en cada país.

Gaceta Dental · N o 357 | Mayo 2023 ESPECIAL
34
ORTODONCIA. Dr. Enrique Solano Reina

En el caso de la Ortodoncia, será a través de este RD 589/2022, tras la petición y concesión de la especialidad, por el que se establezca y regule la misma, en el que la Ortodoncia debería ser una de las primeras especialidades, como así ha ocurrido en el resto de los países europeos. Soy conocedor del esfuerzo y trabajo que se está realizando desde la Sociedad Española de Ortodoncia (SEDO) y les deseo el mayor de los éxitos en esta labor, pero por mucho que nos pese, también soy consciente de su dificultad y de lo que será un arduo y prolongado camino hasta su implantación.

—Al contrario de lo que puede creerse, y pese a que las ventajas de la Ortodoncia invisible suelen asociarse a la Estética, este sistema está también diseñado para afrontar casos complejos. ¿Cuáles destacaría? ¿Y qué beneficios aporta con respecto a la Ortodoncia tradicional?

—Yo, al igual que otros muchos compañeros, nos interesamos en los años 90 por una técnica como la Ortodoncia lingual como respuesta a las necesidades y requerimientos de nuestros pacientes, que entonces era considerada como la auténtica Ortodoncia invisible frente a los brackets estéticos ya existentes en aquel momento.

La verdad es que entonces pensábamos que esta Ortodoncia lingual podía dar las mismas

soluciones que la técnica vestibular, cumpliendo con las exigencias de estética e invisibilidad. Con la aparición de la Ortodoncia plástica hemos visto cómo, en primer lugar, y lo digo por experiencia personal, los mismos pacientes han ido demandándola en sustitución de los brackets estéticos y de los linguales. En mi caso, al igual que otros muchos compañeros, seguimos trabajando con ambas técnicas, pero también es cierto que, en la medida en que los alineadores han dado un mayor grado de corrección y predictibilidad, ha aumentado de forma ostensible su uso y aplicabilidad incluso en casos muy complejos pudiendo decir que, al igual que ocurre con las otras técnicas, cada vez son menos los casos que no podríamos abordar con su empleo.

Yo destacaría que el conocimiento que se requiere es tan extenso como con la Ortodoncia

«Será la inteligencia artificial la que permitirá, en un futuro no muy lejano, el verdadero desarrollo de lo que hoy entendemos por mundo digital»
35
Dr.
Enrique Solano Reina. ESPECIAL ORTODONCIA

tradicional si quieres conseguir resultados similares. No es menos cierto que ha simplificado mucho nuestra labor, en especial en la planificación de tratamientos multidisciplinares e incluso de Cirugía Ortognática.

—¿Sería osado afirmar que los brackets pasarán a la historia en las próximas décadas?

—El hecho de que el tiempo de tratamiento con los alineadores sea similar o incluso inferior al tratamiento con brackets, además de otras ventajas como que estos aparatos son removibles y, por lo tanto, la higiene bucal es más sencilla y el riesgo de caries disminuye; que son más confortables por ser lisos y adaptarse perfectamente a los contornos de los dientes evitando rozaduras o llagas, así como urgencias; y, en último término, que sean muy estéticos por su transparencia dando una sensación de casi invisibilidad, han hecho que el paciente los aprecie de una forma especial, aunque tenemos que saber que hay limitaciones en el tratamiento de determinadas maloclusiones y tratamientos en los que los brackets son los recomendados.

Francamente, no creo que los brackets puedan ser sustituidos en todas sus facetas y aplicaciones, tanto en cuanto que determinados principios biomecánicos no son aplicables con la misma precisión y fiabilidad con los alineadores.

—Como método cada vez más demandado por la población, ¿cuáles son, a día de hoy, los principales desafíos a los que se enfrenta la Ortodoncia invisible y cómo se están abordando? ¿Y las amenazas? ¿Cómo hacer frente, por ejemplo, a la proliferación de compañías que promocionan sus productos en las redes sociales sin control por parte del dentista?

—Su punto débil, como ocurre en el desarrollo inicial de cualquier Ciencia, y en este sentido la Ortodoncia invisible todavía es muy joven, es la carencia de estudios científicos que muestren una alta evidencia científica de sus efectos, desde los buenos a los adversos, como la reabsorción radicular, el comportamiento de las encías o la estabilidad de los movimientos, a los que se le trata de dar evidencia desde el punto de vista clínico, pero que requieren de un estudio mucho más científico, siendo para mí su principal desafío.

Por el contrario, el que el número de casas que lo comercializan haya aumentado de forma exponencial, se debe al éxito del procedimiento y a la predeterminación del tratamiento manejado por técnicos; de ahí la necesidad de que el tratamiento sea realizado por un especialista en Ortodoncia, previo diagnóstico y planificación. La amenaza proviene del hecho de que estos tratamientos sean realizados por odontólogos generalistas y difundidos a través de campañas de marketing por parte de los propios dentistas y de las compañías como tratamientos estéticos, de gran simplicidad y grandes resultados, y esto tiene difícil solución mientras en España no exista la especialidad en Ortodoncia.

—Gracias al desarrollo de la tecnología ya es posible planificar de forma digital cada fase del tratamiento y visibilizar el resultado final antes incluso de haber comenzado con el procedimiento. ¿Imaginaba en sus comienzos

Gaceta Dental · N o 357 | Mayo 2023 ESPECIAL ORTODONCIA.
36
Como asegura el Dr. Solano, «el flujo digital facilita la comunicación con el paciente al poderle mostrar la planificación y los previsibles resultados que se obtendrán». Dr. Enrique Solano Reina

toda esta evolución en el uso de la tecnología digital en Ortodoncia? ¿Cuáles diría que han sido los mayores avances o hitos en este sentido y cómo han influido en la práctica clínica?

—A lo que estamos asistiendo es a un extraordinario desarrollo y aplicación de la tecnología digital en el campo de la Ortodoncia, mediante la combinación de tecnologías, servicios y flujos digitales de trabajo que se interconectan para ofrecer soluciones globales en los tratamientos desde un enfoque interdisciplinar. Esto ha permitido alcanzar un hito más al incrementar la efectividad y predictibilidad de los tratamientos en los casos más complejos, al ser compatible con tratamientos de Cirugía Ortognática y el uso de anclaje óseo con minitornillos.

El flujo digital en nuestras consultas nos resulta imprescindible y es una forma de integrar e interconectar a todo el equipo multidisciplinar, pudiendo incluso facilitar la comunicación con el paciente al poderle mostrar la planificación y los

TRES AVANCES IMPRESCINDIBLES

previsibles resultados que se obtendrán. Bajo mi punto de vista, será la inteligencia artificial la que terminará dándole el auténtico espaldarazo a todo este desarrollo y la que permitirá, en un futuro no muy lejano, el verdadero desarrollo de lo que hoy entendemos por mundo digital.

—Y, actualmente, ¿cuáles son las principales tendencias en la Ortodoncia y qué tecnologías están permitiendo su desarrollo?

—A la tecnología digital se le unen procedimientos clínicos y tecnológicos que han facilitado que, lo que separaba antes la Ortodoncia convencional con brackets de los tratamientos con alineadores, se vea ahora con la misma capacidad de alcance y efectividad, con determinadas excepciones. La aceleración del movimiento dentario mediante vibraciones, fotobiomodulación, láser o decorticación alveolar ha permitido que casos con extracciones sean totalmente abordables

El Dr. Enrique Solano tiene claro, cuando se le pregunta que si al final de su trayectoria profesional le obligaran a quedarse con tan solo tres avances tecnológicos, cuáles escogería. «Uno sería el diagnóstico y planificación en 3D y su flujo digital. Nosotros ya hemos desarrollado con Nemotec (empresa española de gran implantación internacional) la cefalometría MSE en 3D y estamos realmente maravillados de lo que es capaz de aportar. Un segundo avance es lo que aporta el anclaje óseo en el día a día en el tratamiento de Ortodoncia convencional y, sobre todo, en los tratamientos compensatorios de casos complejos, en los que podemos obtener resultados anteriormente cuestionables. En nuestro caso es una rutina el uso de miniplacas como máxima expresión de lo que puede aportar el anclaje óseo, al poder soportar varios vectores de fuerza como sistema compensatorio, en casos que tradicionalmente se consideraban ortognáticos. Un tercer avance sería el de la Ortodoncia plástica con alineadores y la aplicación de la inteligencia artificial (IA) en este campo. Actualmente, nosotros realizamos el seguimiento del tratamiento de nuestros pacientes, monitorizándolos a través del sistema scan-box, que nos permite un control y supervisión de lo obtenido, al superponer las imágenes de la predeterminación del tratamiento con la obtenida, lo que ahorra visitas presenciales en la clínica y reduce el tiempo de sillón.

ESPECIAL ORTODONCIA Gaceta Dental · N o 357 | Mayo 2023 37
Dr. Enrique Solano
Reina.

«No hay mayor tesoro que el trabajo en equipo con espíritu de superación y formación continuada, en mi caso rodeado de mis cuatro hijas y mi mujer, Asunción Mendoza. Todas ellas son parte de Coinsol Dental, en sus diferentes especialidades, y sostén de mi vida profesional», asegura el Dr. Solano.

y predecibles en su oclusión final. Si a eso le unimos protocolos biomecánicos específicos con alta predictibilidad en los movimientos y un seguimiento incluso a distancia por vía digital involucrando al paciente, tan solo podremos presenciar una demanda cada vez mayor de estos tratamientos.

La aparición y desarrollo de diferentes softwares que nos permiten realizar predeterminaciones de los movimientos dentarios, impresión digital de los modelos y construcción de los alineadores en nuestra consulta redundará, sin lugar a duda, a un mayor uso e implantación de este tipo de tratamiento dentro de un segmento de dificultad moderada, tanto por su coste como por su uso en tratamientos interdisciplinarios y pequeñas recidivas.

—Cada vez más adultos optan por un tratamiento ortodóntico, parcela más reservada en el pasado a niños y

adolescentes. ¿Qué razones han propiciado esta evolución? ¿Es ahora el paciente más consciente de que un tratamiento de Ortodoncia puede mejorar la salud oral en general, e incluso otras dificultades como puede ser la apnea del sueño?

—El estado del bienestar y el interés por la salud han propiciado que la sociedad actual, y en particular los adultos, se hayan interesado por lo que les ofrecían a sus hijos, al ser más conscientes de que una buena salud bucal afecta de forma importante al estado general del organismo, al evitar infecciones y patologías asociadas.

Somos cada vez más conscientes de los aspectos funcionales de la masticación al vivir en una sociedad cada vez mejor informada y de los problemas que acarrean enfermedades como la apnea del sueño, hoy considerada como invalidante, sobre todo, para determinadas profesiones e incluso para la longevidad.

Gaceta Dental · N o 357 | Mayo 2023
38
ESPECIAL ORTODONCIA. Dr. Enrique Solano Reina

En gran medida, este acceso a la información se debe al colectivo dental y su relación con otros colectivos de la salud, como ocurre con la apnea del sueño, así como a los colegios profesionales que han hecho una gran labor continuada de información a la población en general.

También hay que significar el interés por la estética, que ha ayudado a canalizar muchas de estas iniciativas y tratamientos para devolver la salud y funcionalidad, a la vez que embellecer la sonrisa. De ahí la importancia de trabajar de forma interdisciplinar y que la mayoría de las consultas trabajen de esta forma con equipos integrados en ellas, donde el ortodoncista es uno más.

—Volviendo al tema de la formación, y con su larga trayectoria como docente, ¿cómo cree que ha podido contribuir a la formación de nuevos ortodoncistas? ¿Qué huella le gustaría

haber dejado a los alumnos que, a lo largo de los años, se han formado con usted en Ortodoncia?

—Llevo más de 40 años en la docencia y he de decir que siempre aprendiendo; si estás en esto es porque te gusta y te resulta gratificante. Yo me formé como ortodoncista en el Postgrado de Ortodoncia de la Universidad Complutense de Madrid y quien fue mi maestro, el Profesor Juan Pedro Moreno, me enseñó no solo la práctica de la Ortodoncia, sino que también me dio la oportunidad de enseñarla como docente en su Cátedra.

Posteriormente, mi estancia en la Universidad de los Ángeles (UCLA) y en la consulta de Rickets, maestro de maestros, hizo que me enamorara de la profesión y de transmitirla bajo mi propia filosofía, la técnica MSE.

En 1986 inicié esa docencia postgraduada en la Universidad de Sevilla, impartiendo cursos de especialización hasta llegar al

Dr. Enrique Solano Reina. ESPECIAL ORTODONCIA

LA ORTODONCIA, «UNA CIENCIA Y UN ARTE INSUSTITUIBLE»

«La Ortodoncia es una Ciencia y, a su vez, un arte insustituible, vislumbrando un gran futuro donde un porcentaje elevado de la población seguirá necesitando nuestra atención, a pesar de que la incidencia de caries y rehabilitación protésica pueda disminuir. Actualmente los mayores temores de los potenciales ortodoncistas son la alta competencia por la práctica generalizada de la Ortodoncia y la falta de reconocimiento tras tres años de formación, sin que la población, por lo general, ponga en valor esta cuestión.

Con la llegada de las especialidades volveremos a ver un resurgir por la buena praxis, espero que alejada de lo comercial o lo falto de evidencia, que aporte lo que necesitamos en nuestros tratamientos, funcionalidad y estabilidad de los resultados, sin renunciar a la estética por ello». Así vislumbra el Dr. Solano el futuro de la Ortodoncia, así como los principales temores que encaran los potenciales ortodoncistas.

actual Máster de Ortodoncia de tres años con acreditación europea (NEBEOP) que ha permitido a los alumnos de otros países vecinos que lo han cursado poder después realizar su práctica como especialistas en Ortodoncia en su país de origen donde la especialidad ya estaba reconocida, y facilitando este mismo reconocimiento a los españoles que han querido también ejercer la práctica de la Ortodoncia

en el entorno europeo. Ahora que imparto mi último año en la Universidad de Sevilla y echo la vista atrás, me doy cuenta de lo mucho que he disfrutado y de lo corto que se me ha hecho el camino. Sigo joven de espíritu y ánimo, a la vez que ilusionado por mi nueva etapa como director académico en el Instituto de Desarrollo Odontológico Digital (IDEOD), donde trabajo con un excelente claustro conformado por quienes fueron antiguos alumnos míos y a quienes entiendo haber transmitido ese amor por la Ortodoncia y su enseñanza, pues así me lo demuestran día a día al ver cómo se vuelcan en la instrucción de los nuevos ortodoncistas que formamos en IDEOD.

—¿Qué le aporta, en concreto, dicha faceta docente que no le aporte la práctica clínica?

¿Y viceversa?

—Yo siempre me he considerado en primer lugar como un clínico, motivado a transmitir lo que aplico e investigar sobre nuevos desarrollos fundamentados en el diagnóstico y procedimiento o técnicas de gran aplicabilidad y permanente actualización. Pero he de decir que, si me faltara la docencia, perdería algo fundamental en mi trayectoria, porque es la que me ha permitido mantenerme actualizado y me ha hecho indagar sobre las cuestiones a las que no encontraba la respuesta adecuada.

Por eso he practicado una gran variedad de técnicas, buscando que el tratamiento fuera el más adecuado para cada maloclusión y eso es lo que he practicado y enseñado en las formaciones que he dirigido, independientemente de que mi propia técnica sea la que más conozco y aplico. Por eso me ha gustado rodearme de aquellos que conocen y aplican con maestría otros tipos de procedimientos, completando así la formación de mis alumnos de una forma plural y diversa.

Aunque haya publicado más de 100 artículos en revistas de impacto e investigado en diferentes áreas de la Ortodoncia como la metalurgia, el movimiento dentario o el diagnóstico, siempre he admirado a los grandes clínicos que han sido capaces de aportar soluciones y técnicas que han hecho que la Ortodoncia sea hoy lo que es. ●

Gaceta Dental · N o 357 | Mayo 2023 ESPECIAL
40
ORTODONCIA. Dr. Enrique Solano Reina

Hemos conseguido combinar la tecnología más puntera de la odontología digital en un único dispositivo para ofrecérsela a los médicos de forma ¡óptima! El OXO Core System no es estático, sino que está diseñado para crecer con las aportaciones de todos los integrantes del universo odontológico.

LUZ PROFESIONAL

VIDEO/CÁMARA HD

WORK STATION - CRM CLOUD

MAGNIFICACIÓN

APPS DISPONIBLES POSICIONADOR DE IMPLANTES (FIT)

REGISTRO DINÁMICO

MANDIBULAR (JAW)

¿Quiere probarlo? Para más información, escanee el código QR.

Para más información rellene el formulario escaneando el código QR.

Sevilla (1-3 JUNIO 2023)

VISÍTENOS EN EL STAND B1

CARACTERÍSTICAS PRINCIPALES
LA NAVAJA SUIZA DEL DENTISTA DIGITAL
www.akura-medical.com info@akura-medical.com +34 91 737 58 11 OXO CORE desde 5.550€ (*) (*) Para software Fit y Jaw solicitar presupuesto adicional
OXO worldwide distributor
MADE IN SPAIN

Ortodoncia interdisciplinar, un enfoque colaborativo para el tratamiento integral de maloclusiones

Es un hecho que la práctica de tratamientos de Ortodoncia interdisciplinar ha aumentado en los últimos años. Esto se debe a una combinación de avances en la tecnología y técnicas de tratamiento, a una mayor conciencia sobre la importancia de una salud oral integral, a una mayor demanda de tratamientos estéticos y a una mayor disponibilidad de tratamientos de Ortodoncia. Todo ello hace que la Ortodoncia interdisciplinar tenga hoy en día mayor relevancia que nunca y esto es algo que podremos comprobar en una de las citas científicas del año: el 69 Congreso que la Sociedad Española de Ortodoncia (SEDO) celebrará, entre el 7 y 10 de junio en Bilbao, y cuyo tema principal será «Ortodoncia interdisciplinar. La llave del éxito en el tratamiento del paciente adulto».

Los avances en la tecnología y las técnicas de tratamiento están permitiendo a los especialistas en Ortodoncia abordar problemas más complejos y tratarlos de manera más efectiva. Estos avances han facilitado la colaboración entre diferentes especialistas, lo que ha impulsado el desarrollo de la Ortodoncia interdisciplinar. Al mismo tiempo, llevamos años notando una

mayor demanda de tratamientos estéticos, de pacientes que están buscando tratamientos de ortodoncia que no solo mejoren su salud oral, sino también su apariencia. Todo ello junto a una mayor disponibilidad de tratamientos de ortodoncia, hace que sea muy común que los pacientes busquen tratamientos más especializados y personalizados que aborden todas sus necesidades específicas. Y, para dar respuesta a todo ello, el

42
Especial Ortodoncia Gaceta Dental · N o 357 | Mayo 2023 ESPECIAL ORTODONCIA.
interdisciplinar
Sonsoles García Garrido
Ortodoncia
43
foto:shutterstock_LightField Studios Gaceta Dental · N o 357 | Mayo 2023 Ortodoncia interdisciplinar. ESPECIAL ORTODONCIA
«La organización del trabajo en Ortodoncia interdisciplinar es un proceso complejo»

trabajo del ortodoncista con otros especialistas es imprescindible.

Para el Dr. Eduardo Espinar Escalona, médico estomatólogo y ortodoncista, «en la actualidad, la tendencia es el manejo multidisciplinar. Son muchas las disciplinas, cada vez más complejas, que necesitan la intervención de diferentes profesionales. Creo que casi todos los pacientes adultos, y en ocasiones en crecimiento, necesitan una planificación multidisciplinar. Puesto que actualmente la mayoría de los tratamientos de nuestras consultas son pacientes adultos, eso es sinónimo de necesidades de abordaje interdisciplinar».

EL PAPEL DEL ORTODONCISTA EN LOS TRATAMIENTOS INTERDISCIPLINARES

Para la Dra. Alicia Megía, ortodoncista y miembro activo de la SEDO, «lo importante es hacer una planificación desde el punto de vista global. Los ortodoncistas somos como los directores de orquesta. Lo que es realmente necesario es que nos

¿SON LOS ALINEADORES UNA BUENA OPCIÓN PARA TRATAMIENTOS INTERDISCIPLINARES EN ORTODONCIA?

«Los alineadores son sólo una herramienta con sus ventajas e inconvenientes, lo único importante es el profesional que acomete el caso. A día de hoy existe una infinidad de diferentes sistemas de alineadores disponibles, cada uno de ellos con sus peculiaridades, pero, a su vez, todos también con un denominador común; esto es, la dependencia creciente de las empresas proveedoras y la impotencia del ortodoncista a la hora de confrontar cambios unilateralmente estipulados por las mismas», explica el Dr. Prieto Serrano, quien presentará en su ponencia de la SEDO de Bilbao «la versatilidad, posibilidades potenciales y distintas formas de adopción que el sistema en el que uno diseña sus propios alineadores, confiere al ortodoncista. No obstante, su adopción también plantea dudas como, por ejemplo, si la carga de trabajo se va a multiplicar o si se van a obtener peores resultados frente a los sistemas tradicionales».

44
El Dr. Eduardo Espinar Escalona, médico estomatólogo y ortodoncista.
Gaceta Dental · N o 357 | Mayo 2023 ESPECIAL
«La clave del éxito de los tratamientos interdisciplinares reside en la planificación y coordinación del equipo»
ORTODONCIA. Ortodoncia interdisciplinar

comuniquemos bien con el resto de especialistas para que, desde el primer momento, tengamos un objetivo común, y no que cada uno vaya adoptando decisiones por su cuenta. De hecho, muchas veces, nuestra decisión terapéutica va a depender de lo que el paciente se tenga que hacer en el resto de las especialidades (prostodóncico e implantológico)».

«El ortodoncista debería ser el primero en estar en contacto con el paciente, contando con que la parte periodontal y de saneamiento (obturaciones, etc.) ya está corregida antes de empezar. Pero antes de decidir cualquier tipo de restauración prostodóncica o implantológica, el ortodoncista debe estar informado y ver al paciente para organizar la secuencia de tratamientos.

Habitualmente, es el ortodoncista quien tiene que tratar de acomodar el tratamiento. A veces tenemos que elegir una ortodoncia más compleja, para facilitar la ubicación de un implante, por ejemplo. De este modo, podemos elegir previamente la mejor solución para el paciente, aunque sea mecánicamente más compleja», argumenta la Dra. Megía.

45
La Dra. Alicia Megía, ortodoncista ponente en SEDO Bilbao.
«El ortodoncista debería ser el primero en estar en contacto con el paciente»
Ortodoncia interdisciplinar. ESPECIAL ORTODONCIA

Por su parte, el Dr. Espinar, que desarrollará en el congreso SEDO Bilbao su ponencia sobre «Tratamiento quirúrgico de la clase II», explica que «el ortodoncista tiene que preparar las arcadas dentarias para que pueda ser posible su correcta relación entre los maxilares. Lo más importante es conseguir una adecuada posición de los dientes en el hueso para permitir un adecuado manejo por el cirujano maxilofacial».

¿QUÉ TIPO DE EXPERTOS

DENTALES INTERVIENEN EN LA ORTODONCIA MULTIDISCIPLINAR?

El número y tipo de profesionales necesarios va a depender de cada caso particular. Habitualmente, los distintos especialistas que participan

SEDO 2023 OFRECE LAS CLAVES DEL TRATAMIENTO DE ORTODONCIA PARA EL PACIENTE ADULTO

Ya está todo listo para una nueva cita en el Congreso SEDO que se celebrará entre el 7 y 10 de junio en Bilbao, y que lleva por lema «Ortodoncia interdisciplinar. La llave del éxito en el tratamiento del paciente adulto». Durante cuatro jornadas se van a revisar todos los temas de actualidad: compensación dentoalveolar y anclaje esquelético, tratamiento de la clase II desde la visión interdisciplinar, alineadores, innovaciones digitales, charlas por parejas donde se trata la Ortodoncia interdisciplinar con otros especialistas...

Entre los nombres que figuran en el programa del evento, además de los doctores Eduardo Espinar Escalona, Alicia Megía, Luis Carlos Ojeda-Perestelo y Javier Prieto Serrano, también se encuentran Renato Cocconi, Ute Schneider, Lorenz Moser, Andreu Puigdollers, Iratxe Díaz, Juan Carlos Pérez Varela (presidente de la SEDO), Dan Grauer, Arturo Vela, Itamar Friedlander, Juan Carlos Palma, Domingo Martín, Óscar y Saúl González, Ion Zabalegui, Ignacio y Gonzalo Blasi, Elvira Antolín y Manuel Román, entre más de medio centenar de ponentes.

En definitiva, lejos ya de la idea de que la ortodoncia es exclusivamente para menores, el programa del congreso SEDO 2023 aborda de forma integral los diversos campos de interés para los ortodoncistas, especialmente los tratamientos para adultos que están estrechamente ligados a la ortodoncia interdisciplinar.

Más información: https://sedobilbao2023.com/

46
El Dr. Prieto Serrano, ortodoncista ponente en SEDO Bilbao.
Gaceta Dental · N o 357 | Mayo 2023 ESPECIAL ORTODONCIA.
interdisciplinar
Ortodoncia

en los tratamientos de Ortodoncia multidisciplinar son:

-Ortodoncista . Es el especialista dental encargado de diagnosticar, prevenir y tratar las maloclusiones dentales. Es el profesional principal en el tratamiento de ortodoncia y es quien debe organizar la colaboración con otros especialistas para garantizar un tratamiento integral.

-Odontólogo generalista . Se encarga de realizar las extracciones o tratamientos conservadores, así como de prevenir, diagnosticar y tratar cualquier enfermedad dental.

-Periodoncista . Es el profesional imprescindible en cualquier tratamiento interdisciplinar.

-Cirujano ortognático. Participa cuando se necesita un tratamiento de cirugía. Esta se da en aquellos casos en los que otras especialidades como la Ortodoncia no es suficiente para abordar al problema debido a su magnitud.

-Implantólogo. Gracias a la ortodoncia, el implantólogo encuentra y recupera el espacio necesario para colocar los implantes con éxito.

-Prostodoncista . Su labor como experto en prótesis dentales es necesario en los casos que sea preciso colocar puentes, coronas…

-Experto en ATM . Ciertos pacientes, que sufren del síndrome de dolor de disfunción articular o ATM, sienten dolores agudos en los músculos de la mandíbula que se extienden hacia la cara, oído, cabeza y cuello. De ahí la necesaria colaboración del ortodoncista con otorrinolaringólogos, fisioterapeutas, etc.

-Experto en Síndrome de Apnea e Hipoapnea del Sueño (SAHOS)

Según explica el Dr. Luis Carlos Ojeda-Perestelo, especialista en Ortodoncia y Ortopedia dentofacial

y experto en Medicina Dental del Sueño, «la interdisciplinariedad para este tipo de tratamientos pasa por la interconsulta con los servicios de neumología y otorrinolaringología tras el examen bucal obligatorio por parte del odontopediatra/odontólogo». Y en el caso del odontólogo, «la formación idónea es la de especialista de Ortodoncia y Experto en Medicina Dental del Sueño», explica el Dr. Ojeda-Perestelo. Precisamente, el Dr.

47
«La Ortopedia maxilar combinada con anclajes oseosoportados va a prevenir a los pacientes el crecimiento de SAHOS»
Gaceta Dental · N o 357 | Mayo 2023
El Dr. Luis Carlos Ojeda Perestelo, Board español en Ortodoncia y Ortopedia dentofacial.
Ortodoncia interdisciplinar. ESPECIAL ORTODONCIA

Luis Carlos Ojeda-Perestelo, Board español en Ortodoncia y Ortopedia dentofacial, va a abordar en su ponencia, que clausura el congreso de la SEDO, las claves de atención a los niños con TADs: «Explicaré los beneficios obtenidos en las vías aéreas y en la arquitectura del sueño con nuestros tratamientos de Ortopedia maxilar facilitados con el uso de TADs. La Ortopedia maxilar combinada con anclajes oseosoportados va a prevenir a nuestros pacientes el crecimiento de SAHOS, mejorando la permeabilidad de la vía aérea en los mismos. Vamos a presentar casos tratados con déficit esqueléticos maxilares y mandibulares normalizados con TADs que, tras la realización de polisomnografía, mostraron una significativa reducción en el AHI, la saturación de oxígeno, ronquidos..., mejorando los niños la sensación de descanso y de bienestar».

planificación desde el punto de vista global y coordinarse entre los diferentes especialistas», explica la Dra. Megía. «Es por eso que, cuando se realizan este tipo de tratamientos en clínicas pequeñas, que tienen que derivar al paciente a otros especialistas, la comunicación con el otro especialista se complica. No obstante, si ese otro especialista es de tu confianza todo puede ir bien. Lo importante es poder comunicarse bien y, hoy en día, con las herramientas digitales que tenemos, todo esto es mucho más fácil», añade.

También la comunicación con el paciente debe ser lo más clara posible. «Desde que le damos el presupuesto, el paciente tiene que entender que no es solo la parte ortodóncica, sino que su tratamiento también incluye implantes u otras rehabilitaciones que muchas veces son mucho más costosas que la parte ortodóncica. Hay que explicar al paciente que, para darle una solución ortodóncica, antes tenemos que solucionar otras cuestiones que dependen de otros especialistas», aclara la Dra. Megía.

También para el Dr. Espinar la clave del éxito de estos tratamientos reside en «la preparación en conjunto, así como el diseño del plan de tratamiento».

En cuanto al flujo de trabajo, «el ortodoncista inicia la preparación según las necesidades de corrección esquelética. Existen tres fases, una preortodoncica, una prequirúrgica y una final posquirúrgica.

ORTODÓNCICOS INTERDISCIPLINARES?

«Lo importante es hacer una

En la primera se necesita colocar los dientes en el hueso con una adecuada inclinación que respete el entorno periodontal del paciente. En la segunda, realizados los movimientos anteriores, se prepara

48
¿CUÁL ES LA CLAVE DE LOS TRATAMIENTOS
Gaceta Dental · N o 357 | Mayo 2023 ESPECIAL ORTODONCIA.
«La organización del trabajo en Ortodoncia interdisciplinar es un proceso que involucra la colaboración y coordinación entre diferentes especialistas en Odontología y otros campos de la Medicina»
Ortodoncia interdisciplinar

para la cirugía. Posteriormente y, por último, la fase final para ajustar oclusalmente después del movimiento realizado por el cirujano de los maxilares».

Por su parte, para el Dr. Javier Prieto Serrano, la clave está en «conocer las propias limitaciones, saber el papel que puede aportar la especialidad que uno ejerce en el contexto global que representa

cada paciente concreto, establecer una jerarquía secuencial en el abordaje de los problemas que el paciente presenta y mantener un excelente nivel de comunicación con objeto de convertir la colaboración entre distintos especialistas en un abordaje verdaderamente sinérgico y que, por tanto, devenga en el mejor resultado posible para el paciente». ●

LA IMPORTANCIA DE LA PLANIFICACIÓN EN ORTODONCIA INTERDISCIPLINAR

La organización del trabajo en Ortodoncia interdisciplinar es un proceso complejo que involucra la colaboración y coordinación entre diferentes especialistas en Odontología y otros campos de la Medicina. Para ello es necesario considerar algunos aspectos importantes en la organización del trabajo en Ortodoncia interdisciplinar:

•Evaluación inicial: la evaluación inicial del paciente debe realizarse de manera conjunta entre los diferentes especialistas involucrados en el tratamiento. Es importante evaluar todos los aspectos relevantes, como la historia médica del paciente, la oclusión, la posición de los huesos maxilares, la salud periodontal o la estética facial, entre otros.

•Planificación del tratamiento: una vez que se ha realizado la evaluación inicial, se debe planificar el tratamiento de manera conjunta entre los especialistas. En esta etapa se definirán los objetivos del tratamiento y el ortodoncista debe establecer un plan de acción que contemple todas las necesidades del paciente. Además de determinar los objetivos, el ortodoncista debe asignar las tareas a los distintos profesionales y el orden de sus intervenciones.

•Comunicación y coordinación: la comunicación y coordinación entre los especialistas es fundamental para garantizar el éxito del tratamiento. Es importante establecer un protocolo de comunicación claro y definir responsabilidades específicas para cada especialista.

•Tratamiento interdisciplinario: el tratamiento interdisciplinario debe llevarse a cabo de manera coordinada y secuencial. Cada especialista debe realizar su parte del tratamiento de manera planificada y coordinada con los demás especialistas.

•Seguimiento y evaluación: el seguimiento y evaluación del tratamiento también debe realizarse de manera conjunta entre los especialistas. El ortodoncista debe evaluar los resultados del tratamiento y hacer ajustes en la ortodoncia si es necesario para garantizar el éxito de todo el trabajo.

En resumen, la organización del trabajo en Ortodoncia Interdisciplinar requiere una buena coordinación y comunicación entre los diferentes especialistas involucrados en el tratamiento, así como una planificación detallada y una evaluación continua del mismo.

49
Gaceta Dental · N o 357 | Mayo 2023
Ortodoncia interdisciplinar. ESPECIAL ORTODONCIA

Corticotomías y ortodoncia. Ampliando límites del movimiento dental

Con

Licenciatura en Odontología (Universidad Complutense de Madrid). Máster de Ortodoncia y Ortopedia Dentofacial (Universidad de Oviedo). Doctora en Odontología por la Universidad de Oviedo. Miembro diplomado de la Sociedad Española de Ortodoncia (SEDO). Práctica exclusiva de Ortodoncia en Madrid y Guadalajara.

DR. RAMÓN LORENZO VIGNAU

Licenciado en Odontología por la Universidad Europea de Madrid. European Board in Periodontology por la European Federadion in Periodontolgy. Máster en Periodoncia e implantes por la Universidad Complutense de Madrid. Profesor del Máster de Periodoncia e Implantes (Universidad Complutense de Madrid). Profesor del Máster de implantes (Universidad Europea de Madrid). Co-director de programa de experto Periocentrum Academy. Práctica exclusiva en Periodoncia e Implantes en PerioCentrum Madrid. Práctica exclusiva en Periodoncia e Implantes en PerioCentrum Ávila.

Se presenta el caso clínico de una paciente de 32 años de edad con relación esquelética de clase II de Angle, birretrusión esquelética, mesofacial, severa compresión maxilar y recesiones generalizadas. Debido a las limitaciones múltiples que presentaba el caso, y ante el rechazo por parte de la paciente de la cirugía ortognática, se optó por un tratamiento ortodóncico de camuflaje, combinado con corticotomías en la arcada superior. El objetivo de las corticotomías es producir una lesión temporal en el hueso cortical con el fin de desencadenar el llamado fenómeno acelerador regional (RAP) produciendo un proceso de desmineralización/remineralización del hueso que acelera el movimiento de los dientes, acortando, además, el tiempo de la ortodoncia.

Especial Ortodoncia
DRA. ARANZAZU SENOSIAIN
la colaboración de: Gaceta Dental · N o 357 | Mayo 2023 ESPECIAL
50
ORTODONCIA. Caso clínico

La realización de corticotomías en combinación con la ortodoncia presenta ciertas ventajas más allá de la disminución del tiempo de tratamiento, siendo las más relevantes la mejora de la condición periodontal del paciente y la disminución de reabsorciones radiculares. Es importante destacar que no es una técnica aplicable a todos los casos, ni a todos los pacientes y es muy dependiente de un procedimiento quirúrgico cuidadoso.

Palabras clave: camuflaje ortodóncico, corticotomías, recesiones.

ABSTRACT

A 32-year-old woman clinical case is presented, with skeletal class II malocclusion, skeletal birretrusion, mesofacial, severe maxillary transverse problem and generalized recessions.

Due to the limitations and because the patient rejected the orthognatic surgery, a camouflage orthodontic treatment was decided. We also perfomed corticotomies in the upper arch.

The corticotomies procedure produces a temporary wound in cortical bone, followed by a rapid acceleratory phenomena (RAP) with a demineralization/remineralization in bone that shorten the orthodontic time treatment.

Corticotomies combined with orthodontic treatment also present advantages, as well as shorten treatment time. The most important ones are the improvement in periodontal phenotype, and also avoid root resorption. It is important to highlight that it is not a technique that must be

«La realización de corticotomías en combinación con la ortodoncia presenta ciertas ventajas como la mejora de la condición periodontal del paciente y la disminución de reabsorciones radiculares»
Gaceta Dental · N o 357 | Mayo 2023 Caso clínico. ESPECIAL ORTODONCIA 51
Figuras 1-3. Fotos faciales iniciales.

applied in all the orthodontic cases and is dependent on a careful surgical procedure.

Key words: orthodontic camouflage, corticotomies, recessions.

CASO CLÍNICO

Paciente mujer de 32 años que acude a nuestra consulta demandando «mejorar su mordida y su estética dental».

En el examen facial frontal la paciente muestra tercios faciales proporcionados, simetría facial y ligera incompetencia labial. En sonrisa, destacar los corredores bucales y la presencia de una línea de sonrisa invertida debido a la falta de alineación del frente anterosuperior. La exposición incisiva es correcta. En la visión lateral, la paciente presenta un perfil convexo, con un mentón y nariz prominente como consecuencia de la birretrusión maxilomandibular.

(Figuras 1-3)

En la exploración funcional no existe dolor a la palpación de la musculatura masticatoria, pero sí se detecta un click articular intermitente en ambas articulaciones. En el CBCT se observa un cóndilo derecho posicionado posteriormente y con morfología compatible con

osteofito y degeneración articular. Por su parte, en el cóndilo izquierdo, el espacio articular superior está aumentado y presenta también una imagen compatible con degeneración articular. Ambos cóndilos están corticalizados (Figura 4)

En el examen intraoral destaca la presencia de un biotipo periodontal fino con recesiones generalizadas en ambas arcadas, especialmente en la superior. Presenta buena higiene oral y no existe inflamación gingival. El 13 presenta discoloración.

En las relaciones interarcadas oclusales, la paciente presenta una relación molar de clase II bilateral de medio premolar, la línea media dentaria superior e inferior son coincidentes y existe una discrepancia oseodentaria superior de -4 mm e inferior de -5mm. El resalte es de 5 mm en MIC y la sobremordida del 20% (Figuras 5-10) Si analizamos la oclusión en el primer contacto dentario, la clase II empeora hasta clase II completa, el resalte aumenta a 7 mm y verticalmente se produce una mordida abierta (Figuras 11-15)

Transversalmente, existe mordida cruzada en 16, 17, 26 y 27. La curva de Wilson superior está aumentada, especialmente a nivel de los 7 superiores mientras que la curva de Wilson inferior es correcta. La magnitud del problema transversal entre ambas bases óseas es de 6 mm. (Figura 16)

En la ortopantomografía, destacar la presencia de 18, 28 y 48 en boca, semi erupcionados y con problemas de espacio. El 38 está incluido (Figura 17)

Respecto al análisis cefalométrico, se trata de una clase II esquelética con retrusión maxilo-mandibular

Gaceta Dental · N o 357 | Mayo 2023 ESPECIAL
52
Figura 4. Cortes sagitales ambos cóndilos. ORTODONCIA. Caso clínico

y sínfisis mandibular grande que compensa la falta de proyección de la mandíbula. Los incisivos superiores e inferiores están proinclinados (Figura 18)

Diagnóstico

Maloclusión clase II esquelética con retrusión bimaxilar, incisivos superiores e inferiores proinclinados, resalte aumentado, sobremordida disminuida, discrepancia

oseodentaria moderada, problema transversal de 6 mm, curva de Wilson superior aumentada y biotipo periodontal fino con recesiones generalizadas muy severas. No presenta sintomatología dolorosa, pero ambos cóndilos presentan imágenes compatibles con degeneración condilar no activa.

Objetivos de tratamiento

La paciente rechazó la cirugía

Gaceta Dental · N o 357 | Mayo 2023 Caso clínico. ESPECIAL ORTODONCIA 53
Figuras 5-10. Fotos intraorales iniciales.

ortognática y se planteó un tratamiento de Ortodoncia compensatoria mediante aparatología fija multibrackets con una duración de 15 meses y con los siguientes objetivos:

- Estética facial y dental: mejorar la alineación del frente anterosuperior y recuperar la curvatura adecuada de la línea de sonrisa. Se pretende también mejorar la forma de la arcada superior y

disminuir los corredores bucales. En el perfil, se pretende retroinclinar el incisivo superior.

Mediante las corticotomías con regeneración se pretende, no solo facilitar los movimientos dentarios por las importantes limitaciones esqueléticas que presenta el caso, sino también mejorar la estética de la sonrisa mediante el recubrimiento de los cuellos dentarios y devolver una arquitectura gingival más adecuada.

Figuras 11-15. Modelos 3D iniciales Figuras 16. Corte frontal inicial. Figuras 17. Oropantomografía inicial. Figura 18. Telerradiografía lateral inicial.
Gaceta Dental · N o 357 | Mayo 2023 ESPECIAL ORTODONCIA.
54
Caso clínico

- Oclusión: se pretende realizar control vertical y corregir la curva de Wilson superior, mejorando el excesivo torque positivo que presentan los molares superiores.

Debido a la magnitud del problema transversal y las limitaciones existentes en la arcada superior decidimos comprimir la arcada inferior a nivel posterior para mejorar la relación transversal existente.

Anteroposteriormente, debido a la magnitud de la clase II, se pactó con la paciente una oclusión final en clase II, respetando siempre una posición músculoesqueléticamente estable. Se disminuyó el resalte mediante IPR en combinación con microtornillos retromolares en la tuberosidad haciendo una distalización parcial de la arcada superior.

Plan de tratamiento

Ortodoncia compensatoria mediante aparatología fija multibracktes en combinación con corticotomías superiores para facilitar los movimientos dentarios debido a las múltiples limitaciones desde el punto de vista gingival y óseo que presenta el caso.

Las corticotomías se realizaron a la semana de la colocación de la aparatología y es recomendable, durante los cuatro meses posteriores a la cirugía, mantener el ritmo de activaciones cada 2 semanas. Más allá de este período se considera finalizado el RAP.

Técnica quirúrgica

Un correcto diseño del colgajo es esencial para el éxito de cualquier técnica quirúrgica, especialmente en cirugía reconstructiva.

En este caso, el colgajo se diseñó desde un acceso apical con técnica tunelizada (1).

El colgajo debe proporcionar un acceso adecuado al hueso alveolar en el que se realizarán las corticotomías y colocar el material regenerativo de forma correcta.

El diseño del colgajo es una combinación de un colgajo de espesor total a lo largo de todo el área quirúrgica, que llega hasta el hueso basal maxilar, con una descarga de espesor parcial realizada desde la línea mucogingival hacia apical y realizando una disección del tejido muscular y de la submucosa, siendo el objetivo del mismo eliminar la tensión del colgajo asegurando así una correcta cicatrización.

El colgajo se extendió coronalmente hacia el margen gingival mediante un colgajo a espesor total que abarca la encía queratinizada.

A nivel interdental no se realizaron incisiones intrasulculares interdentales, sino que fueron tunelizadas desde apical para preservar la papila completamente. El colgajo tunelizado se extendió dos dientes más allá de los sitios de corticotomía mesial y distal.

Este hecho permite sobrecorregir el recubrimiento de la corona de

Gaceta Dental · N o 357 | Mayo 2023 Caso clínico. ESPECIAL ORTODONCIA 55
«La corticomía con regeneración debe de estar correctamente indicada después de un adecuado diagnóstico y llevada a cabo por especialistas experimentados»

los dientes, pudiendo cubrir áreas de recesión radicular y asegurar un mayor tiempo de estabilización de los coágulos por debajo del colgajo, lo cual aporta una mayor capacidad de regeneración tisular.

A continuación, se realizaron corticotomías alveolares selectivas a través de los accesos mucosos, extendiéndonos hacia el hueso medular alrededor de los dientes y con una profundidad de 1 mm de corte aproximadamente (2). Esta teoría del movimiento en bloque para mejorar el movimiento de los dientes ha sido estudiada a lo largo de los años (3).

Se realizaron osteotomías verticales en el espacio interradicular y se conectaron con corticotomías horizontales colocadas en hueso basal a más de 10 mm del ápice de los dientes. Con esta técnica, en teoría, los dientes se pueden mover de 2 a 3 veces más rápido del tiempo requerido para la terapia de ortodoncia tradicional (2, 4).

Una vez que se realizan los cortes, y debido a la ausencia de tabla vestibular, se realizó un procedimiento reconstructivo de tipo regeneración tisular guiada en sentido horizontal labial por encima de las superficies radiculares.

A través del acceso lateral del túnel, se introdujo una membrana de colágeno de reabsorción lenta (Creoss, Nobel Biocare) adecuadamente recortada. Posteriormente, y adaptada por debajo de ella se colocaron dos tipos de sustitutos óseos:

Por encima de la raíz denudada se aplicó aloinjerto 70% mineralizado particulado (Lifenet) (5), mientras que por encima de la primera capa se injertó mineral de hueso bovino desproteinizado (Bio-Oss, Geistlich) para el aumento del volumen óseo y engrosar el periodonto (6, 7).

Ambos injertos se manipularon a través de plasma rico en factores de crecimiento (BTI, Edoret) para su fácil aplicación y precisión en la colocación de los materiales de relleno, además de agilizar la cicatrización de los tejidos blandos.

Finalmente, se fijó la membrana a través de chinchetas y se suturó a través de suturas suspensorias sobre los dientes y con puntos simples en los accesos apicales.

Progreso del caso

- 13 de mayo de 2020: registros iniciales.

- 30 de mayo de 2020: cementado de la arcada superior e inferior. 014 Niti superior e inferior.

- 3 de junio de 2020: corticotomías+ regeneración en la arcada superior. Exodoncia de 18, 28, 38, 48 (Figura 19)

- 17 de junio de 2020: 016 x 016 Niti superior e inferior. IPR superior e inferior.

- 1 de julio de 2020: 016 x 022 Niti superior. Se confirma la necrosis del 13 y se realizó tratamiento de conductos.

- 20 de julio de 2020: 18 x 25 Niti superior. 16 x 22 Niti inferior.

Gaceta Dental · N o 357 | Mayo 2023 ESPECIAL ORTODONCIA.
56
«Un correcto diseño del colgajo es esencial para el éxito de cualquier técnica quirúrgica, especialmente en cirugía reconstructiva»
Caso clínico

- 4 de agosto de 2020: 19 x 25 acero superior. 18 x 25 Niti inferior.

- 20 de septiembre de 2020: microtornillos palatinos superiores 10 mm de longitud y 2 mm de diámetro para control del torque de los molares superiores. Se cementaron botones palatinos en 16, 17, 26 y 27 y cadeneta elástica del botón al microtornillo. 18 x 25 acero inferior (Figura 20)

- 24 de noviembre de 2020: retirada de los microtornillos palatinos y colocación de microtornillos retromolares superiores para distalar arcada superior y reducir el resalte (Figura 21)

- 2 de marzo de 2021: elásticos de asentamiento.

- 4 de mayo de 2021: retirada de

la aparatología inferior. Retenedor fijo inferior.

- 7 de julio de 2021: retirada de la aparatología superior. Essix superior.

RESULTADOS

A nivel facial se ha mejorado muy considerablemente la estética de la sonrisa, no solo por la alineación dentaria, sino también por la mejora en la arquitectura gingival. Se produjo disminución en los corredores bucales por la recuperación en la forma de arcada (Figuras 22-24).

A nivel dental (Figuras 2530) destacar que no se produjo expansión en los sectores posterosuperiores, tal y como puede apreciarse en las superposiciones. Por el contrario, la mejora en el

Figura 19. Detalle de las corticotomías con técnica tunelizada. Figura 20. Microtornillos palatinos para el control del torque. Figura 21. Microtornillos retromolares en tuberosidad.
Gaceta Dental · N o 357 | Mayo 2023 Caso clínico. ESPECIAL ORTODONCIA 57
Figuras 22-24. Fotos faciales finales.
Gaceta Dental · N o 357 | Mayo 2023 ESPECIAL ORTODONCIA.
58
Figuras 25-30. Fotos intraorales finales.
Caso clínico

problema transversal se produjo por la compresión de los sectores posteroinferiores (Figuras 31-32)

Se observa también la corrección de la curva de Wilson en la arcada superior mediante la utilización de los microtornillos palatinos.

La mejora en la clase II y la reducción del resalte se produjo por la combinación del control vertical, el distalamiento de la arcada superior y el IPR superior.

En la arcada inferior se solucionó la discrepancia oseodentaria y se mantuvo la inclinación de los incisivos mediante IPR.

Radiográficamente se aprecia un adecuado paralelismo radicular a

excepción del 11 y 21 (Figura 33)

Cefalométricamente persiste la clase II esquelética, se retroinclinó el incisivo superior y se mantuvo la inclinación del incisivo inferior (Figura 34)

Aunque no supone un objetivo de tratamiento, destacar también la escasa duración del mismo gracias al acortamiento de la fase de alineación que se obtuvo con las corticotomías.

Como retención se colocó un essix superior de uso nocturno y un retenedor fijo inferior.

CONCLUSIONES

La corticotomía con regeneración,

Gaceta Dental · N o 357 | Mayo 2023 Caso clínico. ESPECIAL ORTODONCIA 59
Figuras 31 y 32. Superposición inicial y final del modelo superior e inferior.

como coadyuvante del tratamiento de Ortodoncia, ofrece múltiples ventajas tales como la mejora de la condición periodontal del paciente, la rapidez del movimiento dental, la disminución de las reabsorciones radiculares y la estabilidad en la forma de

arcada lograda. No sustituye a los tratamientos ortopédicos ni de cirugía ortognática, pero sí que los puede complementar. Debe de estar correctamente indicada después de un adecuado diagnóstico y llevada a cabo por especialistas experimentados. ●

LAS CORTICOTOMÍAS CON REGENERACIÓN, A ESTUDIO EN SEDO BILBAO 2023

La Dra. Aranzazu Senosiain será ponente en el Congreso SEDO Bilbao 2023, que se celebrará en Palacio de Congresos y de la Música Euskalduna Jauregia de Bilbao, del 7 al 10 de junio.

«Corticotomías con regeneración: ampliando los límites del movimiento dentario» es el título de la ponencia que la Dra. Senosiain abordará, junto con el Dr. Ramón Lorenzo, en la jornada del sábado 10 de junio dentro del bloque dedicado a «La Ortodoncia y su entorno».

Conoce todos los detalles de esta cita aquí:

Figuras 33. Ortopantomografía final. Figuras 34. Telerradiografía final.
Gaceta Dental · N o 357 | Mayo 2023 ESPECIAL ORTODONCIA.
60
Caso clínico

BIBLIOGRAFÍA

1. DIBART S, SEBAOUN JD, SURMENIAN J. Piezocision: a minimally invasive, periodontally accelerated orthodontic tooth movement procedure. Compend Contin Educ Dent. 2009; 30: 342-350.

2. VERCELLOTTI T, PODESTA A. Orthodontic Microsurgery: A New Surgically Guided Technique for Dental Movement. Int J Periodontics Restorative Dent 2007; 27: 325-331.

3. FROST HM. The regional acceleratory phenomenon: a review. Henry Ford Hosp Med J. 1983; 31:3-9.

4. VERCELLOTTI T, NEVINS ML, KIM DM, ET AL. Osseous response following resective ther-apy with piezosurgery. Int J PeriodonticsRestorative Dent 2005; 25: 543-549.

5. CHIRIAC G, HERTEN M, SCHWARZ F, ROTHAMEL D, BECKER J. Autogenous bone chips:Influence of a new piezoelectric device (Piezosurgery) on chip morphology, cell viability and differentiation. J Clin Periodontol 2005; 32: 994-999.

6. WILCKO MT, WILCKO WM, PULVER JJ, BISSADA NF, BOUQUOT JE. Accelerated osteogenic orthodontics technique: a 1-stage surgically facilitated rapid orthodontic technique with alveolar augmentation. J Oral Maxillofac Surg. 2009; 67: 21 49-59.

7. WINGARD. The effects of facial bone from facial tipping of incisors in monkeys. Wingard CE, Bowers GM J Periodontol. 1976 Aug; 47 (8): 450-4.

Caso clínico. ESPECIAL ORTODONCIA

Tratamiento de un caso de Ortodoncia y cirugía ortognática

Con placas preformadas y tecnología 3D

Con la colaboración de:

DRA. ELENA BONILLA MORENTE

Licenciada en Odontología por la Universidad de Granada. Máster de Ortodoncia y Ortopedia dentofacial. I.U Mississippi, Madrid. Profesora asociada del Máster de Ortodoncia y Ortopedia dentofacial. I.U Mississippi, Madrid. Profesora y coordinadora del curso modular Ortodoncia y Cirugía Ortognática Díez&Bonilla. Práctica exclusiva en la clínica Díez&Bonilla, Madrid.

Dr. Javier Calderón Polanco Licenciado en Medicina por la Universidad de Valladolid. Doctor en Medicina y Cirugía por la Universidad Autónoma de Madrid. Especialista en Cirugía Oral y Maxilofacial (MIR en el Hospital Gregorio Marañón de Madrid). Actividad privada exclusiva. Hospital San Francisco de Asís (Madrid) y Hospital Santa Cristina (Albacete).

Dra. Paloma Alonso Barberá Licenciada en Odontología por la UEM. Máster de Ortodoncia y Ortopedia dentofacial. I.U Mississippi, Madrid. Ortodoncista, práctica exclusiva en la clínica Díez&Bonilla, Madrid.

Dr. Daniel Díez Rodrigálvarez Licenciado en Medicina y Cirugía por la Universidad Alcalá de Henares. Especialista en Estomatología. Máster de Ortodoncia Centro Europeo de Ortodoncia. Director del Máster de Ortodoncia y Ortopedia dentofacial. I.U Mississippi, Madrid. Ortodoncista en la clínica Díez&Bonilla, Madrid.

Paciente mujer de 30 años que presenta clase III esquelética, compresión maxilar y asimetría mandibular. El tratamiento se inició con la descompensación ortodóncica previa y la preparación para fragmentar el maxilar en línea media por la anatomía radicular alterada que presentaba del incisivo lateral izquierdo.

Se planificó una cirugía ortognática bimaxilar con tecnología 3D y se utilizaron placas preformadas para la fijación de la osteotomía maxilar de Le Fort I fragmentado.

INTRODUCCIÓN

La tecnología 3D en Ortodoncia y cirugía ortognática permite hacer una planificación de nuestros casos más precisa y controlada.

Especial Ortodoncia
Gaceta Dental · N o 357 | Mayo 2023 ESPECIAL ORTODONCIA. Caso clínico 62

La planificación virtual gracias a la tecnología tridimensional no solo ayuda al plan quirúrgico, sino que permite tomar decisiones en el plan de tratamiento ortodóncico prequirúrgico, realizando un buen análisis anatómico que, a veces, condiciona los movimientos ortodóncicos necesarios para la cirugía (1).

Presentamos un caso en el que, gracias al CBCT inicial, pudimos planificar la Ortodoncia de una forma no tan convencional, al objetivar que el diente 22 tenía una raíz en gancho, que no permitiría un fragmentado habitual entre incisivos laterales y caninos.

La fragmentación en línea media requiere la coordinación correcta de las distancias intercaninas e intermolares prequirúrgicamente, así como la preparación correcta de las inclinaciones de los primeros molares y la divergencia radicular entre incisivos centrales superiores. Una vez finalizada la planificación 3D y realizada la cirugía virtual, utilizamos tecnología CAD-CAM para confeccionar unas placas preformadas para la fijación de la osteotomía maxilar, que permitieron un avance, descenso y expansión maxilar, de manera individualizada para este caso.

CASO CLÍNICO

Mujer de 30 años, que refiere tratamiento de Ortodoncia previo, y que consulta porque se ve «la cara torcida» y no muerde bien.

En la exploración física se aprecia hipoplasia maxilar (transversal, vertical y anteroposterior), ausencia de exposición de incisivos en reposo y relación labio-diente corta en sonrisa, con asimetría mandibular a la derecha de origen esquelético (2) (Figura 1)

La falta de crecimiento maxilar anteroposterior y vertical requiere

«La planificación virtual gracias a la tecnología tridimensional no solo ayuda al plan quirúrgico, sino que permite tomar decisiones en el plan de tratamiento ortodóncico prequirúrgico»
Gaceta Dental · N o 357 | Mayo 2023
ESPECIAL ORTODONCIA 63
Figura 1.
Caso clínico.

un tratamiento quirúrgico con osteotomía de Le Fort I de avance y descenso maxilar para conseguir una adecuada relación labiodiente en reposo y sonrisa, además de una adecuada proyección anteroposterior del maxilar (Figura 2) Intraoralmente presenta una mordida cruzada bilateral, desviación de línea media inferior a la derecha, clase III molar y canina mayor del lado izquierdo (por la asimetría mandibular), mordida abierta anterior y resalte invertido. Presenta, además, una recesión en el 41 que se decide tratar, tras consulta con nuestro periodoncista, después del tratamiento de Ortodoncia (Figura 3)

El diagnóstico diferencial entre máxima intercuspidación y relación céntrica, por una aparente desviación de carácter funcional de línea media, es desestimado al ver la posición del cóndilo en la fosa en el CBCT, tanto en el corte anteroposterior como en el coronal (Figura 4). Esto confirma que la desviación mandibular tiene un origen esquelético y una magnitud de 2,6 mm a la derecha.

La ausencia de componente vertical (cant) maxilo-mandibular (Figura 5) descarta una asimetría facial (3).

El tratamiento de la desviación mandibular de origen esquelético

Figura 2.
Gaceta Dental · N o 357 | Mayo 2023 ESPECIAL
64
Figura 3.
ORTODONCIA.
Caso clínico

requiere la necesidad de realizar una osteotomía bilateral de rama (BSSO) para el centrado mandibular a la izquierda de 2,5 mm.

El tratamiento prequirúrgico ortodóncico tiene como objetivo mantener la línea media inferior 2,5 mm a la derecha respecto a la línea media facial, y coincidente con la línea media mandibular (4-6).

Transversalmente, la mordida cruzada bilateral requiere una descompensación dentoalveolar de la arcada inferior vestibulizando 1 mm el 36, y lingualizando 1 mm el 46, lo que no variará la distancia intermolar (44 mm). En la arcada superior, el 16 necesita una expansión de 2 mm y el

26 una expansión de 1,3 mm, lo que variará la distancia intermolar de 34 a 38 mm (Figura 6)

Los 6 mm de diferencia entre las distancias intermolares cúspidecúspide superior (38 mm) y fosafosa inferior (44 mmm), tras la descompensación ortodóncica, es la discrepancia esquelética que deberá corregir el fragmentado maxilar (Figura 7)

El fragmentado maxilar se realiza, habitualmente, en cuatro partes, fragmentando dentariamente en tres fragmentos: fragmento anterior 1,2 + 1,2 y dos fragmentos posteriores de 3 a 7. Esto requiere una preparación de la Ortodoncia creando divergencia

Figura 4. Figura 6. Figura 7.
Gaceta Dental · N o 357 | Mayo 2023
65
Figura 5.
Caso clínico. ESPECIAL ORTODONCIA

radicular entre laterales y caninos, para hacer posible el Le Fort segmentado (7).

En este caso, al navegar por el CBCT inicial, encontramos que el 22 presentaba una raíz en gancho hacia distal, que contactaba con el 23, haciendo imposible la preparación ortodóncica necesaria para un fragmentado convencional en 4, por no ser capaces de generar la divergencia radicular necesaria para el fragmentado en esa zona (Figura 8)

Decidimos, junto con el cirujano maxilofacial, realizar un fragmentado en línea media (entre los incisivos centrales). Este tipo de osteotomías es menos versátil, y el ortodoncista debe asegurar una preparación precisa, en la que la distancia intermolar inicial será de 6 mm y la distancia intercanina, no deberá ser mayor de 3 mm.

La relación labio-diente escasa que presenta la paciente requiere un descenso maxilar anterior de 2 mm y una impactación posterior de 3 mm.

La discrepancia anteroposterior requiere un avance maxilar de 5 mm (medido en el incisivo). Para ello, la preparación de la Ortodoncia es de proinclinación del incisivo inferior de 8 grados y mantenimiento del incisivo superior (Figura 9)

Resumen de la preparación ortodóncica

- Transversal:

• Vestibulización de 1 mm del 36 + lingualización de 1 mm del 46. Distancia intermolar (44 mm). Expansión de 2 mm del 16 + expansión de 1,3 mm del 26. Distancia intermolar de 38 mm.

• Divergencia radicular entre el 11 y el 21.

• Mantener la línea media centrada con la línea media facial y la inferior 2,6 mm a la derecha.

- Vertical: nivelación de la curva de Spee.

- Anteroposterior: proinclianción

Figura 9.
Gaceta Dental · N o 357 | Mayo 2023 ESPECIAL
66
Figura 8. ORTODONCIA. Caso clínico

del incisivo inferior 8 º y mantener inclinación del incisivo superior.

Resumen de la planificación quirúrgica inicial

Le Fort fragmentado en línea media para 6 mm de expansión intermolar con descenso anterior de 2 mm y avance de 5 mm.

Osteotomía de rama bilateral para centrado a la izquierda de 2,5 mm.

La preparación ortodóncica prequirúrgica se llevó a cabo con Ortodoncia fija técnica tip-edge, con una duración de 8 meses. Cita a cita controlábamos la distancia intermolar e intercanina

para ajustarnos a nuestro plan prequirúrgico.

La desviación de líneas medias se mantuvo durante el tratamiento y la proinclinación del incisivo inferior generó un diastema entre incisivos que cerramos por mesialización de la arcada inferior.

Con arcos de acero, trabajamos la distancia interradicular en incisivos centrales. Fragmetamos el arco entre 1+1 antes de la cita de la cirugía (Figura 10)

En el 3D prequirúrgico confiamos que se obtuvieron las inclinaciones molares programadas (Figura 11)

Confirmamos la divergencia radicular entre los incisivos

Figura 10.
Gaceta Dental · N o 357 | Mayo 2023 Caso clínico. ESPECIAL ORTODONCIA 67
Figura 11.

superiores para el fragmentado maxilar en la línea media (Figura 12).

La correcta proinclinación del incisivo inferior (Figura 13) y la discrepancia de las líneas medidas de 2,5 mm permite el centrado mandibular a la izquierda (Figura 14)

Confirmamos prequirúrgicamente ausencia de cant maxilar, tal y como diagnosticamos inicialmente (Figura 15).

Anteroposteriormente observamos la necesidad del avance maxilar con descenso anterior para aumentar la relación labio-diente en incisivos superiores (Figura 16)

En la proyección de 3/4 prequirúrgica, confirmamos la necesidad del avance y descenso maxilar para aumentar la proyección

del tercio medio y mejora la relación labio-diente (Figura 17)

Realizamos una planificación con estos movimientos:

- Le Fort fragmentado de 6 mm de expansión en molares. Cambio de plano maxilar de 2 mm de descenso anterior de 3 mm de impactación posterior. Avance maxilar de 5 mm en ENA de 2,5 mm en incisivo.

- Osteotomía mandibular de rama para centrado mandibular de 2,5 mm a la izquierda y retrusión de 2 mm en incisivo (Figura 18)

Los movimientos programados en el maxilar se procesan por la compañía que generará las guías de corte para el Le Fort fragmentado y las placas maxilares customizadas (Figura 19)

Figura 13.
Gaceta Dental · N o 357 | Mayo 2023
Figura 12.
68
ESPECIAL ORTODONCIA. Caso clínico

El uso de placas preformadas en la ostotomía de Le Fort permite un diseño más anatómico que contribuye a una mejor estabilidad postoperatoria del maxilar (8) (Figura 19)

A pesar de usar placas preformadas, se diseñó una férula quirúrgica para el maxilar superior, pues su uso durante la fijación aporta más precisión cuando la osteotomía del maxilar es fragmentada (9).

La cirugía se realiza según la planificación, sin imprevistos, y con

el resultado oclusal postquirúrgico esperado (Figura 20)

La estabilización y terminación del caso tuvo una duración de 6 meses de tratamiento donde obtuvimos paralelismo interradicular entre incisivos centrales, y ajustamos la olcusión hasta obtener una adecuada oclusión funcional (Figura 21)

Facialmente, la paciente tuvo una mejora en la proyección maxilar tanto anteroposteriormente como verticalmente, aumentando la relación

Figura 14. Figura 15. Figura 16. Figura 17. Figura 18. Figura 19.
Gaceta Dental · N o 357 | Mayo 2023 Caso clínico. ESPECIAL ORTODONCIA 69

¿QUIERES SABER MÁS SOBRE EL TRATAMIENTO DE LAS CLASES II?

¡NO FALTES A SEDO BILBAO 2023!

La Dra. Elena Bonilla será ponente en el Congreso SEDO Bilbao 2023, que se celebrará en Palacio de Congresos y de la Música Euskalduna Jauregia de Bilbao, del 7 al 10 de junio. «Clase II quirúrgica. Qué miramos, qué medimos» es el título de la ponencia que la Dra. Bonilla abordará en la jornada del viernes 9 de junio dentro del bloque dedicado a «Tratamiento de la clase II. Una visión interdisciplinar».

Conoce todos los detalles de esta cita aquí:

Figura 20. Figura 21.
Gaceta Dental · N o 357 | Mayo 2023 ESPECIAL ORTODONCIA. Caso clínico 70

ESPECIAL

Figuras 22 a-d. Figura 23. Figura 24. Figura 25.
72 Gaceta Dental · N o 357 | Mayo 2023
Figura 26. ORTODONCIA. Caso clínico

labio-diente en reposo y sonrisa con una mayor explosión de incisivos y obteniendo una sonrisa armónica, acorde a su edad.

El centrado mandibular recuperó la simetría facial y la cara tuvo una armonización en las proporciones y las alturas (Figuras 22 a-d y 23)

Anteroposteriormente y verticalmente se obtuvo un resultado esquelético equilibrado con los incisivos bien posicionados (Figuras 23 y 24)

Desde el punto de vista oclusal se resolvió la mordida cruzada bilateral posterior, la mordida abierta, la mordida invertida anterior y la clase III bilateral (Figuras 25 y 26)

CONCLUSIONES

Este caso es una muestra de cómo la plataforma 3D virtual se debe utilizar

BIBLIOGRAFÍA

1. CINTRA O, GRYBAUSKAS S, VOGEL CJ, LATKAUSKIENE D, GAMA NA JR. Digital platform for planning facial asymmetry orthodontic-surgical treatment preparation. Dental Press J Orthod. 2018 May-Jun; 23 (3): 80-93. doi: 10.1590/21776709.23.3.080-093.sar. PMID: 30088569; PMCID: PMC6072444.

2. BISHARA SE, BURKEY PS, KHAROUF JG. Dental and facial asymmetries: a review. Angle Orthod. 1994: 64 (2): 89-98.

3. OBWEGESER HL. Condylar Hyperactivity. In: Mandibular Growth Anomalies. 1st ed. Berlin: Springer-Verlag; 2001. p. 13944.

4. LEGAN HL. Surgical correction of patients with asymmetries. Sermin Orthod. 1998 Sept; 4 (3): 189-98.

5. CHEONG YW, LO LJ. Facial asymmetry: etiology, evaluation and management. Chang Gung Med J. 2011 July-Aug; 34 (4): 341-51.

6. HWANG HS. A new classification of facial asymmetry. In:

no sólo para la planificación quirúrgica, sino desde el inicio, para realizar un correcto diagnóstico de la deformidad y ofrecer un tratamiento en el que la Ortodoncia y la cirugía vayan coordinadas de inicio a fin. Esto nos asegura una mayor predictibilidad en los resultados.

El fragmentado de línea media es una opción viable cuando la anatomía radicular de uno, o ambos laterales, impida el fragmentado convencional.

El CBCT proporciona información muy precisa acerca de la posición de estas raíces al inicio de la Ortodoncia y en el momento prequirúrgico.

La tecnología CAD CAM permite la elaboración de placas de osteosíntesis individualizadas y preformadas para una fijación más precisa de la osteotomía de Le Fort I. ●

McNamara JA, editor. Early Orthodontic treatment: Is the Benefit Worth the Burden? Ann Arbor: University of Michigan; 2007. p. 269-94. Craniofacial Growth Series, vol. 44.

7. POSNICK JC, ADACHIE A, CHOI E. Segmental Maxillary Osteotomies in Conjunction With Bimaxillary Orthognathic Surgery: Indications Safety Outcome. J Oral Maxillofac Surg. 2016 Jul; 74 (7): 1422-40. doi: 10.1016/j.joms.2016.01.051. Epub 2016 Feb 2. PMID: 26923557.

8. SUN HB, FALLAH H. Efficacy and Cost of Maxillary PatientSpecific Implants in Orthognathic Surgery: A Review of Three Patient Cases. Perm J. 2022 Apr 5; 26 (1): 137-142. doi: 10.7812/ TPP/21.054. PMID: 35609172; PMCID: PMC9126547.

9. CASSONI A, MANGANIELLO L, BARBERA G, PRIORE P, FADDA MT, PUCCI R, VALENTINI V. Three-Dimensional Comparison of the Maxillary Surfaces through ICP-Type Algorithm: Accuracy Evaluation of CAD/CAM Technologies in Orthognathic Surgery. Int J Environ Res Public Health. 2022 Sep 19; 19 (18): 11834. doi: 10.3390/ijerph191811834. PMID: 36142107; PMCID: PMC9517090.

73 Gaceta Dental · N o 357 | Mayo 2023
Caso clínico. ESPECIAL ORTODONCIA

Uso del anclaje esqueletal como alternativa eficiente en el manejo ortodópédico de clase III

Por deficiencia de maxilar superior

Con la colaboración de:

Especialista en Ortodoncia. Universidad Finis Terrae (Santiago de Chile). Magister en Ortodoncia y Ortopedia Dentomaxilar. Universidad Finis Terrae (Santiago de Chile).

Perfeccionamiento clínico intensivo en anclaje esqueletal. ILAPEO, Curitiba (Brasil). Práctica privada exclusiva en Ortodoncia y anclaje esqueletal en Santiago de Chile. Docente de postgrado en la Universidad de Talca (Chile).

Presentamos un caso clínico de una paciente clase III esqueletal por falta de desarrollo del maxilar superior de 8 años de edad y de género femenino. Sus padres relatan haber tenido un tratamiento ortopédico ortodóncico anterior sin los resultados deseados. Se solicitan de inmediato registros clínicos fotográficos, imagenológicos, los cuales incluyen radiografía lateral de cráneo y CBCT bimaxilar (Planmeca ProMax 3D FOV 90 mm x 90 mm).

Palabras claves: clase III esqueletal, deficiencia maxilar superior, protracción maxilar, Marpe, máscara de tracción frontal, anclaje esqueletal.

INTRODUCCIÓN

Habitualmente llamamos tratamiento temprano o de primera fase a aquel tratamiento ortodóncico y/o ortopédico comprendido entre los

Especial Ortodoncia
Dra. María José Lucero Odontóloga UCV, Venezuela. DR. CARLOS BECERRA MARTÍN
Gaceta Dental · N o 357 | Mayo 2023 ESPECIAL ORTODONCIA. Caso clínico 74

5 y 10 años promedio en dentición temporal o mixta, que tiene por objetivo disminuir las discrepancias dentomaxilares y, así, permitir evitar un tratamiento definitivo o mejorar el pronóstico de la segunda fase o tratamiento definitivo.

Las ventajas de un tratamiento ortodóncico temprano o interceptivo son indiscutibles. Sin duda, como especialistas, y dependiendo de la línea de ortodoncia que sigamos, tenemos, desde hace años, una gran batería de herramientas para redireccionar, corregir o interceptar alteraciones esquelético dentarias en edades tempranas. Pacientes clases II, clases III, mordidas abiertas y pacientes con malos hábitos se verán muy beneficiados con algún tipo de tratamiento que logre aminorar su alteración para lograr un mejor pronóstico en su tratamiento definitivo posterior.

Dentro de los tratamientos tradicionales de pacientes clases III en edades tempranas se posiciona, como referente bibliográfico y clínico, el uso de la máscara de tracción frontal acompañado de algún sistema de expansión dentosoportado

(1). Los efectos de la máscara de tracción frontal se describen como esqueletales, dentoalveolares y faciales. También se describen ciertos efectos no deseados en este tipo de tratamiento, como son el descenso del plano palatino posterior (giro antihorario) y el aumento de la inclinación en sentido horario del plano mandibular, quienes juntos contribuyen a la corrección de las maloclusiones de clase III a través de un efecto ortopédico pequeño y un moderado efecto dentoalveolar (2). También se describe en la literatura que el avance promedio del punto esqueletal A, a través

«Los problemas esqueletales deben ser tratados con técnicas que incidan directamente sobre las estructuras afectadas, de lo contrario, serán en gran medida compensaciones dentoalveolares altamente recidivantes»
Gaceta Dental · N o 357 | Mayo 2023
ESPECIAL ORTODONCIA 75
Figura 1. Imágenes extraorales pretratamiento.
Caso clínico.

de una protracción tradicional dentosoportada, es de no más allá de 1 a 3 mm (3).

Respecto al anclaje esqueletal, se conoce que la tasa de éxito de los mini implantes es del 80% - 100%, con tasas de fracaso del 10% al 30%. Los factores asociados con su fracaso incluyen el diámetro y tipo del mini implante, edad del paciente, espesor del hueso cortical, tejidos blandos, lugar de colocación y la inflamación de los tejidos circundantes. Dentro de los factores relacionados con la estabilidad primaria del mini implante se encuentran la calidad del hueso y la preparación del sitio de inserción. Sin embargo, la calidad del hueso esponjoso no es crucial para los mini implantes, siempre que exista un espesor mínimo de cortical (0,5 a 1,0 mm) (4, 5).

El siguiente artículo presenta un caso clínico donde, a través de dos fases de tratamiento (A y B), y uso del anclaje esqueletal (utilizando un sistema estándar de expansión que se comercializa en el mercado), se

logra mejorar esquelética, dentaria y facialmente a una paciente clase III por deficiencia de tercio medio de temprana edad en un tiempo breve a través del uso de máscara facial nocturna y, posteriormente, aparatología fija.

DESCRIPCIÓN Y ANTECEDENTES CLÍNICOS DEL CASO

Paciente de género femenino y de 8 años de edad, sin antecedentes médicos de interés, derivada del especialista en Odontopediatría por mordida invertida anterior. Presenta pérdida prematura del segundo molar temporal superior derecho y canino temporal superior derecho; buen comportamiento, cooperadora y buen control de placa bacteriana. Los padres están interesados en realizar un nuevo tratamiento para hacer la corrección definitiva del problema dentario destacando la gran importancia en el resultado estético para su hija. Cabe destacar, dentro de la historia clínica del tratamiento, el uso anterior de un disyuntor cementado y una máscara de tracción frontal de uso nocturno, que tuvo una duración de 10 meses aproximados sin los resultados esperados.

DIAGNÓSTICO CLÍNICO

- Facial: falta de desarrollo del tercio medio con poca proyección y soporte paranasal que se acentúa en sonrisa amplia. Adicionalmente presenta una asimetría mandibular con desviación hacia la izquierda, sin canteo maxilar (Figura 1)

- Esqueletal: cefalométricamente, según Roth Jarabak, presenta un patrón de clase III esqueletal vertical por falta de desarrollo de tercio medio. Presenta una base de cráneo corta, un cuerpo mandibular

Gaceta Dental · N o 357 | Mayo 2023 ESPECIAL ORTODONCIA. Caso clínico 76
«La elección del sistema de anclaje esquelético debe realizarse bajo un cuidadoso análisis tomográfico para elegir la zona ideal y de mayor predictibilidad para el funcionamiento del sistema»

fuerte y compensaciones dentarias equivalentes a su condición de clase III esqueletal. Se destaca su retroinclinación marcada del incisivo inferior respecto a IMPA (78º), y una leve protrusión incisiva superior de 113º Un Witts verdadero de 2 mm y un ANB de -1 corroboran la relación sagital alterada de las bases óseas en sentido sagital (Figura 2). Se clasifica, según las esferas de crecimiento, como una paciente mala crecedora (59%).

El análisis transversal lineal realizado (6) determinó una severa compresión de 9 mm. Se corrobora esta medición con la severa compensación dentoalveolar de los primeros molares inferiores definitivos (Figura 3)

- Dentario: dentición mixta en primera fase con ausencia de segundo molar temporal superior derecho y canino temporal superior derecho. Leve falta de espacio en ambos maxilares, mordida invertida

Figura 2. Relación sagital alterada de las bases óseas en sentido sagital.
Gaceta Dental · N o 357 | Mayo 2023 Caso clínico. ESPECIAL ORTODONCIA 77
Figura 3. Severa compensación dentoalveolar de los primeros molares inferiores definitivos.

anterior con extrusión incisiva inferior, que acentúa la curva de Spee. Al manipular la mandíbula de la paciente y llevar a una posición condilar estable tentativa la mordida anterior se presenta como borde a borde. En máxima oclusión (OC) los sectores posteriores no se encuentran en mordida cruzada, pero se evidencia una gran compensación dentoalveolar compensatoria transversal, especialmente en el maxilar inferior (7) (Figura 4).

PLAN DE TRATAMIENTO

El plan de tratamiento propuesto contempla dos fases. A) Ortopédica de clase III en base a disyuntor esqueletal tipo Marpe y máscara de tracción frontal uso noche (6 meses aproximados de tratamiento) para según VTO generar un avance

del punto A y un control vertical mandibular. B) Ortodóncica con aparatología fija 2x4 (12 meses aproximados de tratamiento) para la coordinación de arcos en sentido transversal, vertical y sagital, favoreciendo la erupción de dientes permanentes.

OBJETIVOS DE TRATAMIENTO

- Mejorar las condiciones esqueletales de patrón de clase III a patrón de clase I.

- Mejorar la estética de la paciente.

- Favorecer la respiración de la paciente.

- Mejorar la coordinación de arcos en sentido transversal, sagital y vertical.

- Mejorar el pronóstico de las siguientes posibles fases de tratamiento.

Gaceta Dental · N o 357 | Mayo 2023 ESPECIAL ORTODONCIA.
78
Figura 4. Imágenes intraorales y radiografía panorámica pretratamiento.
Caso clínico

Progresión del caso, fase A

Se instaló, mediante procedimiento ambulatorio con anestesia local infiltrativa palatina, un disyuntor Marpe tipo MSE de la casa comercial BMK de 12 mm de expansión con ganchos soldados para máscara de tracción frontal. Se eligieron mini implantes anteriores de 11 mm x 1,8 y posteriores de 9 mm x 1,8.

El control tomográfico evidenció bicorticalidad en cada uno de ellos (Figura 5). Se instruye a los padres con protocolo de activación con 1 activación (0,013 mm) cada 12 horas x 15 días continuados y se evalúa clínicamente la relación transversal en los controles posteriores.

Una vez lograda la disyunción mediante la expresión clínica de diastema central, y la corrección de la relación posterior transversal,

se sella el tornillo de expansión y comienza el uso de la máscara de tracción frontal noche solicitando 10 horas continuas como mínimo. Comenzamos con 250 grs de fuerza por lado hasta alcanzar, al tercer mes, los 350–400 grs por lado. La fase ortopédica tuvo una duración de 5 meses aproximados.

Al término de esta primera fase se obtuvo un buen resultado dentario, en el que se logró la corrección de la mordida invertida anterior, un buen resultado facial estético con buena proyección de la zona de soporte paranasal y una buena relación labial. Nuevamente se tomaron registros clínicos fotográficos, modelos para montaje en articulador semi ajustable y se solicitó un nuevo CBCT bimaxilar y radiografía lateral de cráneo; siempre utilizando el mismo

Gaceta Dental · N o 357 | Mayo 2023 Caso clínico. ESPECIAL ORTODONCIA 79
Figura 5. Instalación del disyuntor MSE. A la derecha, corte sagital del control tomográfico e instalación del expansor MSE.
Gaceta Dental · N o 357 | Mayo 2023 ESPECIAL ORTODONCIA.
80
Figura 6. Registros post fase A, cefalométricas y faciales. Caso clínico

equipo tomográfico, radiográfico y parámetros anteriores. Con estos antecedentes se hicieron las comparativas fotográficas, cefalométricas, tomográficas y faciales (Figura 6), las que analizaremos más adelante.

Progresión del caso, fase B

Tras retirar el disyuntor Marpe se dejó descansar a la paciente durante 3 meses antes de la instalación de la aparatología fija autoligado activo

2x4 arco recto. Además se indicaron las extracciones de los caninos temporales inferiores. Se utilizaron aparatos fijos de autoligado activo modelo Bioquick de la compañía

Forestadent Int. y se utilizó la prescripción Face.

La cementación fue indirecta asistida digitalmente (flujo digital Trios3 3shape, Orthoanalyzer, Appliance design, Sprintray) (Figura 7). La secuencia de arcos comenzó con Niti thermo activos 0,014 y finalizó con expresión completa de la prescripción con aceros 0,019 x 0,025 en ambos maxilares.

Se utilizaron una barra transpalatina y un resorte de nitinol comprimido en el maxilar superior al final del tratamiento para favorecer el control vertical y compensar levemente la línea media superior

Figura 7. La cementación fue indirecta asistida digitalmente (flujo digital Trios3 3shape, Orthoanalyzer, Appliance design, Sprintray). Figura 8. La fase ortodóncica tuvo una duración de 11 meses aproximados.
Gaceta Dental · N o 357 | Mayo 2023 Caso clínico. ESPECIAL ORTODONCIA 81

hacia la izquierda siguiendo la desviación mandibular que existía previamente. La fase ortodóncica tuvo una duración de 11 meses aproximados (Figura 8)

Tras retirar los aparatos, la paciente quedó sólo con un retenedor fijo lingual en el grupo incisivo inferior y controles de evolución permanentes cada 6 meses hasta alcanzar un seguimiento hasta sus 11 años.

Comparación y análisis de resultados al término de las fases

A y B

- Facial: al término de la fase A se observa una buena proyección del tercio medio y ausencia de expresión progénica en sonrisa amplia. Se destaca el gran contorno geniano que proyecta la zona paranasal dándole más soporte a su nariz. La relación labial es adecuada también proyectando de buena manera el labio superior en reposo (8) (Figura 9)

- Esqueletal: al término de la fase

A, la relación sagital de las bases óseas mejora considerablemente acercándose a patrones de clase I con un Witts verdadero de 4 y un ANB de 1 º. Se destaca del punto de vista dentario la descompensación espontánea del incisivo superior (109 º) en relación a su base ósea,

pero el incisivo inferior incrementa su retrusión a 71 º respecto a IMPA. Hay que considerar el apoyo mentoniano en esta fase ortopédica como posible factor de incremento el que ya venía alterado de la fase anterior (Figura 10)

Una medición lineal tomográfica comparativa (posterior a la fase A), medida desde base de cráneo a espina nasal anterior, mostró un incremento lineal de 6 mm en sentido sagital del punto A (Figura 11). A través del uso del software Materialise 3-matic se hizo comparación de los volúmenes tomográficos pre y post tratamiento y la comparativa colorimétrica mostró no solamente una proyección dentaria sagital del maxilar superior, sino que también un incremento importante en el desarrollo sagitaltransversal alveolar y basal del maxilar superior. Cabe destacar que se muestra una evidente retrusión incisiva sin modificación estructural sagital del cuerpo mandibular (9, 10) (Figura 12)

- Volumen aéreo: una comparativa volumétrica pre y post tratamiento (fase A) evidenció un incremento importante del volumen aéreo en la paciente (11) (Figura 13)

- Dentario: una comparativa pre y post tratamiento (fase A + B) muestra corrección de la mordida invertida anterior y corrección de la mordida cruzada posterior bilateral con persistencia de compensaciones molares inferiores bilaterales y retroinclinación del grupo incisivo inferior; esta situación clínica se presenta, frecuentemente, en los tratamientos asociados a soporte mentoniano por máscara de tracción frontal (Figura 14)

Estabilidad a largo plazo Una vez finalizada la fase B

Gaceta Dental · N o 357 | Mayo 2023 ESPECIAL ORTODONCIA.
82
«El uso del anclaje esqueletal a nivel palatino en pacientes de temprana edad se presenta como una alternativa predecible y segura»
Caso clínico
Figura 9. Comparación facial post etapa A. Se destaca la buena proyección de tercio medio y labial superior. Figura 10. Hay que considerar el apoyo mentoniano como posible favor de incremento en la retrusion del incisivo inferior el que ya venía alterado desde la etapa anterior.
Gaceta Dental · N o 357 | Mayo 2023 Caso clínico. ESPECIAL ORTODONCIA 83
Figura 11. Una medición lineal tomográfica comparativa (posterior a la fase A) medida desde base de cráneo a espina nasal anterior, mostró un incremento lineal de 6 mm en sentido sagital del punto A.

retirando sus aparatos fijos de ortodoncia, se cementó una contención fija lingual pasiva en el grupo incisivo inferior, quedando el maxilar superior libre de retención. Se controló a

la paciente periódicamente cada 6 meses hasta alcanzar los 11 años de edad y se realizó control radiográfico y fotográfico. A través de estos años la paciente ha mantenido una correcta oclusión

Figura 12. Se muestra mayor soporte y proyección del maxilar superior tanto del hueso basal como alveolar. Se observa retrusión del incisivo inferior y no se observa crecimiento mandibular. Figura 13. Una comparativa volumétrica pre y post tratamiento (fase A) evidenció un incremento importante del volumen aéreo en la paciente.
Gaceta Dental · N o 357 | Mayo 2023 ESPECIAL ORTODONCIA. Caso clínico 84

en los tres planos del espacio con cierto grado de compensación dentoalveolar en el maxilar inferior. Pero lo más destacado, sin duda, es el mantenimiento de un aspecto armónico facial donde sigue habiendo un buen soporte sagital del tercio medio, especialmente de la zona paranasal y labial superior (Figuras 15 y 16)

CONCLUSIONES

Es evidente la importancia y necesidad que existe hoy de tratar a los pacientes a temprana edad. El uso del anclaje esqueletal a nivel palatino en pacientes de temprana edad se presenta como una alternativa predecible y segura, ya que anatómicamente sus espesores de hueso cortical permiten una

TODO SOBRE EL «ANCLAJE ESQUELETAL EN EDADES TEMPRANAS» EN SEDO 2023

El Dr. Carlos Becerra Martín será ponente en el Congreso SEDO Bilbao 2023, que se celebrará en Palacio de Congresos y de la Música Euskalduna Jauregia de Bilbao, del 7 al 10 de junio. «Ortopedia y ortodoncia. ¿Por qué debemos considerar el anclaje esqueletal en edades tempranas?» es el título de la ponencia que el Dr. Becerra Martín abordará en la jornada del viernes 9 de junio dentro del bloque dedicado a «Compensación dentoalveolar y anclaje esquelético».

Conoce todos los detalles de esta cita aquí:

Figura 14. Comparativa pre y post tratamiento (fase A + B).
Gaceta Dental · N o 357 | Mayo 2023
85
Caso clínico. ESPECIAL ORTODONCIA

correcta estabilidad primaria para mantener estables los distintos sistemas en el tiempo.

La elección del sistema de anclaje esquelético debe realizarse

bajo un cuidadoso análisis tomográfico para elegir la zona ideal y de mayor predictibilidad para el funcionamiento del sistema. Asimismo, la formación y

Figura 15. Imágenes extraorales 3 años después del tratamiento. Figura 16. Imágenes tras 4 años de evolución.
Gaceta Dental · N o 357 | Mayo 2023 ESPECIAL ORTODONCIA.
86
Caso clínico

capacitación profesional es vital para minimizar los errores, y también la tecnología nos ayuda a planificar mejor y alcanzar los objetivos planteados.

Se presenta un reporte clínico con seguimiento a 4 años donde se evidencia una mejoría importante en su condición esqueletal, pasando de un patrón esqueletal de clase III a un patrón esqueletal de clase I con efectos contundentes a corto plazo. Los resultados dentarios como esqueletales, pero principalmente faciales-estéticos, son los más destacados en este reporte clínico. La utilización de tomografías pre

y post tratamiento muestran una modificación estructural en la proyección del maxilar superior sin tener los efectos no deseados de un sistema de protracción tradicional previamente descritos. Cabe destacar un aumento considerable en el volumen aéreo y de un avance lineal del punto A de 6 mm.

Creemos que muchos pacientes con este tipo de maloclusiones a temprana edad pueden verse favorecidos mediante este sistema o similares con una técnica segura, de menor tiempo de uso y con efectos ortopédicos que minimizan las compensaciones tradicionales. ●

BIBLIOGRAFÍA

1. HEE JONG KWAKA, HAE JIN PARKA, YOON JI KIMB, DONG YUL LEEC. Factors associated with long-term vertical skeletal changes induced by facemask therapy in patients with Class III malocclusion. Angle Orthodontist, Vol 88, No 2, 2018.

2. WILLIAMS MD, SARVER DM, SADOWSKY PL, BRADLEY E. 2. Combined rapid maxillary expansion and protraction facemask in the treatment of Class III Malocclusion in growing Children: A prospective long-term study. Semin orthod 1977; 3: 265-274.

3. GALLAGHER RW, MIRANDA AF, BUSCHANG PH. Maxillary protraction: treatment and posttreatment effects. Dallas, Am J Orthod Dentofacial Orthop 1998; 113: 612-9.

4. ELIAS C, DE OLIVEIRA RUELLAS A, MARINS É. 2011. Resistência mecânica e aplicações clínicas de mini-implantes ortodônticos. Rev. bras. odontol. Rio de Janeiro, v. 68, n. 1, p. 95-100, jan./jun.

5. CRISMANI AG, BERTL M, CELAR AG, BANTLEON H, BURSTONE CH J. 2010. Miniscrews in orthodontic treatment: Review and analysis of published clinical trials. Am J Orthod Dentofacial Orthop.; 137: 108-13.

6. TAMBURRINO RK, BOUCHER NS, VANARSDALL RL, SECHHI A. The transverse dimensión: Diagnosis and relevance to

functional occlusion. RWISO Journal, September 2010.

7. PRADO J, PARDO H, BRAVO M. Rapid Maxillary expansion assisted by mini implants anchorage: a case report. International orthodontics 2019; 17: 159–169.

8. NGUYEN T, CEVIDANES L, CORNELIS MA, HEYMANN G, DE PAULA LK, DE CLERCK H. Three–dimensional assessment of maxillary Changes associated with bone anchored maxillary protraction. American Journal of Orthodontics and Dentofacial Orthopedics, december 2011, vol 140, Issue 6.

9. DE CLERCK H, NGUYEN T, DE PAULA LK, CEVIDANES L. Three–dimensional assessment of mandibular and glenoid fossa changes after bone–anchored Class III intermaxillary traction. American Journal of Orthodontics and Dentofacial Orthopedics, July 2012, vol 142, Issue 1.

10. MOON W, WU KW, MACGINNIS M, SUNG J, CHU H, MACHADO A. The efficacy of Maxillary protraction protocols with the micro implant assisted rapid palatal expander MARPE and the novel N2 mini implant a finite element study. Progress in Orthodontics (2015) 16:16.

11. HAKAN EL, PALOMO JM. Three-dimensional

evaluation of upper airway following rapid maxillary expansion A CBCT study. Angle Orthodontist, Vol 84, No 2, 214.
Gaceta Dental · N o 357 | Mayo 2023 Caso clínico. ESPECIAL ORTODONCIA 87

MARPE, una alternativa a la disyunción en el paciente adulto

DR.

Catedrático de Ortodoncia (Universidad de Sevilla).

Director académico del Máster de Ortodoncia y Ortopedia Dentofacial (Instituto Desarrollo Odontológico Digital IDEOD).

Profesora

Co-directora

Cada vez son más frecuentes los casos de adultos que, teniendo una compresión maxilar esqueletal, pueden ser tratados mediante expansión sin necesidad de ayuda quirúrgica (SARPE) para ello. De forma contraria a otras suturas craneales, la sutura palatina es la única que puede permanecer sin un cierre completo hasta la edad adulta. En la literatura encontramos distintos rangos de edades que apuntan a que la sutura se mantiene parcialmente abierta sobrepasada la edad adolescente, mostrando grandes variaciones en la progresión del cierre. Sin embargo, son numerosos los estudios que confirman que el aumento de la edad conlleva una disminución en la respuesta del maxilar al movimiento de expansión debido al cierre progresivo de las suturas maxilares. Concretamente el estudio de Melsen (1) realizado sobre cadáveres, observó que el crecimiento transversal de la sutura continúa superados los 16 años en el género femenino y los 18 años en el masculino.

Persson y Thilander (2), dos años más tarde, describieron las

Especial Ortodoncia
Dra. Beatriz Solano Mendoza Profesora de Ortodoncia (Universidad de Sevilla). del Máster de Ortodoncia y Ortopedia Dentofacial (IDEOD). de Aligner Pro Academy (IDEOD).
Gaceta Dental · N o 357 | Mayo 2023 ESPECIAL ORTODONCIA. Caso clínico 88
ENRIQUE SOLANO REINA

fases de desarrollo cronológico de la osificación de la sutura media palatina sobre 24 individuos, con edades comprendidas entre los 15 y 35 años, donde establecieron que, aunque en la etapa juvenil podía observarse obliteración sutural, era poco frecuente encontrar un cierre evidente antes de los 30 años. Así también lo confirman Thadani y cols. (3), observando que la obliteración puede comenzar en la adolescencia, pero su fusión completa rara vez se encuentra antes de la tercera década de la vida.

La decisión de cuál es el tratamiento adecuado ante una falta de desarrollo maxilar transversal no debe ser confiada únicamente a la edad cronológica, sino también debe estar relacionada con la etapa de maduración de la sutura palatina. Esta sutura que divide al hueso maxilar en dos mitades, presenta cinco etapas de maduración (Figura 1) : A, B, C, D y E. La mayoría de los adultos presentan fusión de la sutura mediopalatina (D) y/o fusión de los huesos maxilares (E).

Angelieri (4) ha propuesto un método con el que podemos evaluar la maduración de la sutura de forma individual en cada paciente, mediante la tomografía computerizada de haz cónico (CBCT), proporcionándonos información fiable para tomar una decisión clínica al verificar el estado de osificación de la sutura palatina media.

Si el paciente se encuentra en el estadio C, donde la sutura se encuentra abierta pero con una mayor interdigitación, es ideal para ser tratado con disyuntor fijado al maxilar mediante minitornillos, lo que se conoce como MARPE (derivada

«Son numerosos los estudios que confirman que el aumento de la edad conlleva una disminución en la respuesta del maxilar al movimiento de expansión debido al cierre progresivo de las suturas maxilares»
Gaceta Dental · N o 357 | Mayo 2023 Caso clínico. ESPECIAL ORTODONCIA 89
Imagen: cedida por Coinsol Dental.

de las siglas en inglés microimplantassisted rapid palatal expansion), podemos vencer esa resistencia.

Este procedimiento es muy utilizado en la actualidad, ya que requiere de anestesia local y se puede efectuar en consulta, sin graves complicaciones, en comparación con la cirugía (SARPE).

Para obtener resultados esqueléticos, el MARPE debe aplicar la fuerza suficiente para superar las áreas de resistencia ubicadas en la cara media, como los pilares de apertura piriforme, los contrafuertes cigomáticos, las uniones pterigoideas y la sutura palatina (Figura 2)

PRESENTACIÓN DEL CASO CLÍNICO

Con este caso queremos ilustrar los resultados de esta técnica en una paciente adulta de 43 años de edad que presentaba una

acentuada compresión a nivel esqueletal del maxilar superior, pudiendo observar un arco de sonrisa estrecho con corredores bucales y torque negativos en ambos sectores posteriores (Figura 3). A nivel oclusal, presentaba una mordida cruzada bilateral completa desde los primeros premolares hasta los segundos molares en ambas hemiarcadas, estando también comprometido el incisivo lateral derecho, arcada superior en V y lingualización acentuada de los molares inferiores con ausencia del 36, con gran compensación a nivel de los torques posteriores. Biotipo periodontal fino con algunas pequeñas recesiones y nivel de hueso moderadamente alterado (Figura 4)

En el CBCT podemos observar un patrón Dolicofacial con corticales vestibulares finas a nivel de incisivos superiores e inferiores, sutura

Figura 1. Etapas de maduración de la sutura palatina media (4).
Gaceta Dental · N o 357 | Mayo 2023 ESPECIAL ORTODONCIA. Caso clínico 90
Figura 2. Corte axial de una imagen CBCT. 1: espina nasal anterior derecha; 2: espina nasal anterior izquierda; 3: espina nasal posterior derecha; 4: espina nasal posterior izquierda; 5 y 6: puntos medial y lateral de la placa lateral del proceso pterigoideo derecho; y 7 y 8: puntos medial y lateral de la placa lateral del proceso pterigoideo izquierdo.

mediopalatina parcialmente abierta tipo C de Angelieri y, por lo tanto, susceptible a la realización del MARPE (Figura 5)

En este caso utilizamos el tornillo MSE de Moon fijado al maxilar mediante cuatro minitornillos y bandas en primeros molares,

siguiendo el protocolo de medir cada fijación de forma independiente para obtener la bicorticalidad en los cuatro tornillos (Figura 6)

El número de vueltas completas fue de 23 hasta llegar a descruzar la mordida cruzada posterior con algo de sobrecorrección (Figura

Figura 3. Arcada estrecha y presencia de corredores bucales. Figura 4. Egnatia maxilar con mordida cruzada posterior y periodonto fino y proceso dentoalveolar estrecho e incisivos centrales triangulares.
92 Gaceta Dental · N o 357 | Mayo 2023 ESPECIAL ORTODONCIA.
Caso clínico

7), después de haber embandado la arcada inferior y borrar los torque negativos y lingualización de los molares inferiores con brackets MSE y controlar el torque de los superiores mediante barra transpalatina en segundos molares

(Figura 8)

La paciente, tras su finalización, obtuvo un gran beneficio de su expansión ósea maxilar mediante MARPE, ampliando su arco de sonrisa (Figura 9), buena relación oclusal de clase I molar y canina, así como

adecuado resalte y sobremordida, después de su rehabilitación con carillas en los cuatro incisivos superiores y buen manejo de los márgenes gingivales y cambio de la forma triangular de los incivos para conseguir un punto de contacto adecuado, evitando la aparición de agujeros negros.

La paciente no quiso realizarse ningún striping ni restauración estética inferior, excepto la colocación de implante y corona del molar inferior izquierdo (Figura 10) ●

Figura 5. CBCT con fisura medio palatina tipo C de Angelieri. Figura 6. Medidas en CBCT de la altura de los tornillos antreriores y posteriores para proporcionar anclaje bicortical. Izda: altura ósea anterior; dcha: altura ósea posterior.
93 Gaceta Dental · N o 357 | Mayo 2023
ORTODONCIA
Caso clínico. ESPECIAL
Figura 7. Apertura de la sutura mediante el MARPE.
94 Gaceta Dental · N o 357 | Mayo 2023 ESPECIAL
Figura 8. Tratamiento ortodóncico con Brackets MSE (Solano).
ORTODONCIA.
Caso clínico

BIBLIOGRAFÍA

1. MELSEN B, MELSEN F. The postnatal development of the palatomaxillary region studied on human autopsy material. Am J Orthod 1982; 82: 329-42.

2. PERSSON M, THILANDER B. Palatal suture closure in man from 15 to 35 years of age. Am J Orthod 1977; 72: 42-52.

3. THADANI M, SHENOY U, PATLE B, KARLA A, GOEL S, TOSHINAWAL N. Midpalatal Suture Ossification and

Skeletal Maturation: A Comparative Computerized Tomographic Scan and Roentgenographic Study. J Indian Acad Oral Med Radiol 2010; 22: 81-7.

4. ANGELIERI F, CEVIDANES LH, FRANCHI L, GONÇALVES JR, BENAVIDES E, MCNAMARA JA. Midpalatal suture maturation: classification method for individual assessment before rapid maxillary expansion. Am J Orthod Dentofacial Orthop 2013; 144: 759-69.

Figura 9. Relleno pleno del arco de sonrisa.
95 Gaceta Dental · N o 357 | Mayo 2023
Figura 10. Situación transversa corregida, implante en 36 y terminación del caso. Caso clínico. ESPECIAL ORTODONCIA

Ciencia y clínica Uso de los nuevos cementos biocerámicos selladores para el retratamiento de conductos

A propósito de un caso

DR. NOÉ HERNÁNDEZ DÍAZ

Máster en Endodoncia Avanzada (UEM).

Máster en Estética dental (UEM).

Miembro de la Asociación Española de Endodoncia (AEDE). Dedicación exclusiva a la Endodoncia y la Odontología Restauradora Estética en Palma de Mallorca.

Hoy en día el tratamiento de conductos es un procedimiento muy extendido para evitar la extracción de dientes que, en otras circunstancias, estarían abocados a la extracción. Sin embargo, pueden surgir problemas tras la endodoncia por diversas razones. La reendodoncia o retratamiento no quirúrgico debe ser nuestra primera opción en casos donde la endodoncia no esté funcionando, a fin de conservar el diente en boca.

La tasa de éxito del retratamiento de conductos es muy alta, siempre y cuando seleccionemos correctamente el caso y contemos con el instrumental, habilidad y conocimientos necesarios.

INTRODUCCIÓN

Los grandes avances en las técnicas endodónticas y los materiales sitúan al retratamiento como la primera opción previa a la cirugía apical

en casos en los que la endodoncia primaria está fracasando. Con las técnicas actuales de magnificación y uso del CBCT (tomografía computarizada de haz cónico), la tasa de éxito del retratamiento se sitúa en torno al 89% (1).

El objetivo principal cuando nos enfrentamos a un retratamiento es el de eliminar el material de obturación contaminado del tratamiento anterior para poder limpiar y reducir, en la medida de lo posible, las bacterias persistentes, ya que son éstas las que causan el fracaso del tratamiento (2).

Para ello, los instrumentos rotatorios han demostrado ser la forma más rápida y efectiva de eliminar la gutapercha antigua, para posteriormente poder proceder a la limpieza y desinfección de los conductos, que será la clave del éxito en este tipo de casos (3).

El último paso del procedimiento será el de la obturación tridimensional del sistema de conductos, que

Gaceta Dental · N o 357 | Mayo 2023 CIENCIA Y CLÍNICA. Caso clínico 96

asegurará que se cumplan los objetivos del tratamiento a largo plazo (4). En este sentido, la aparición de los nuevos cementos selladores biocerámicos ha sido una auténtica revolución, pues nos abren un gran abanico de posibilidades a la hora de obturar tanto con técnicas en frío como en caliente.

A continuación, presentamos un caso de retratamiento de conductos a través de corona en un incisivo lateral izquierdo en el cual utilizaremos los materiales y técnicas más modernas a nuestro alcance para poder alcanzar los objetivos anteriormente descritos.

CASO CLÍNICO

Paciente mujer de 48 años de edad, sin antecedentes médicos de interés, que acude a consulta por haber referido dolor e inflamación en la zona del segundo cuadrante. La paciente nos indica que hace dos años se le realizó la endodoncia en el incisivo lateral de dicho cuadrante. Después de realizar la exploración clínica, observamos que el diente 22 es un diente previamente tratado, y que presenta percusión positiva, palpación positiva y sondaje fisiológico, con lo que establecemos un diagnóstico definitivo del diente previamente tratado con periodontitis apical sintomática. En la exploración radiográfica (Figura 1) podemos observar una gran imagen apical en la raíz del diente 22, así como un tratamiento de conductos deficiente radiográficamente. Ante esta situación, nuestra primera opción será el retratamiento por vía ortógrada del diente, para intentar mejorar el tratamiento primario. El diente tiene una corona metalcerámica, que decidimos conservar

«El diagnóstico previo es fundamental en casos de retratamiento para establecer la causa principal del fracaso anterior y poder brindar al diente una segunda oportunidad antes de la extracción»
Figura 1. Radiografía periapical previa al inicio del tratamiento, donde podemos observar la existencia de patología periapical.
Gaceta Dental · N o 357 | Mayo 2023 Caso clínico. CIENCIA Y CLÍNICA 97
Figura 2. Imagen de la lima Excalibur® 35.05 en acción, en el momento de desobturar el conducto.

dado su buen ajuste y estética, por lo que el procedimiento será a través de ésta.

Una vez anestesiado y realizado el asilamiento absoluto del diente, comenzamos la apertura en la dirección que nos marca el eje longitudinal de la corona, para ser más precisos. Llegamos a la cámara y, utilizando el microscopio operatorio (Zumax 2350), localizamos el conducto y la gutapercha antigua.

Para eliminar la gutapercha contaminada utilizamos el sistema reciprocante Excalibur® 35.05 (Zarc4Endo, Gijón, España) hasta desobturar los dos tercios coronales del conducto (Figura 2). Para el tercio

apical, utilizamos limas hedstroem del calibre 15, 20 y 25 hasta obtener permeabilidad.

Realizamos la conductometría electrónica del conducto con el localizador Z-Apex® (Zarc4Endo, Gijón, España) y ampliamos el calibre apical del conducto con la lima Excalibur® 45.05 (Figura 3), también de movimiento reciprocante. Al tratarse de diente previamente tratado con imagen apical, la irrigación debe ser profusa. Se utiliza hipoclorito de sodio al 4’25% en tres ciclos de 30 segundos de activación ultrasónica con Z-Activator® (Zarc4Endo, Gijón, España). También se utiliza EDTA al 17% durante 30 segundos activado ultrasónicamente.

Posteriormente, realizamos una radiografía de conometría para comprobar el ajuste apical y procedemos a obturar (Figura 4) Para la obturación, decidimos utilizar el nuevo cemento biocerámico Neosealer Flo® (Zarc4Endo, Gijón, España) con la técnica de cono único siguiendo las instrucciones del fabricante. Una gran ventaja de estos nuevos cementos biocerámicos selladores reside en su capacidad de fraguar incluso en condiciones de humedad dentro del conducto, lo cual es de gran ayuda en casos de retratamientos y necrosis pulpar (Figura 5)

Por último, realizamos la reconstrucción definitiva del caso con composite para cerrar el acceso endodóntico y procedemos a realizar la radiografía final postoperatoria, donde podemos ver la obturación tridimensional del caso (Figura 6). Se hará revisión del caso en 6 meses para ver evolución de la lesión apical.

Figura 4. Radiografía de conometría para comprobar el ajuste del cono maestro de gutapercha.
Gaceta Dental · N o 357 | Mayo 2023 CIENCIA
98
Figura 3. Imágenes de las limas Excalibur® empleadas durante el retratamiento para retirar la gutapercha contaminada del interior del sistema de conductos.
Y CLÍNICA. Caso clínico

DISCUSIÓN

Un buen diagnóstico es la clave del éxito en casos de los retratamientos para poder establecer las causas del fracaso de la endodoncia primaria y poder resolver satisfactoriamente los signos y síntomas del mismo, ya que, si la lesión se debe a una fisura, ésta no va a tener solución endodóntica (5).

En este caso la radiografía periapical es fundamental para determinar la causa principal del fracaso, que es la falta de sellado del conducto en la endodoncia previa. En estos casos, donde la obturación previa de los conductos

no es buena, sabemos que la tasa de éxito es muy grande, en torno al 86%, frente a un 50% en casos donde los conductos están bien tratados previamente (6).

Para la desobturación de los conductos se han propuesto diversos métodos, desde la instrumentación manual hasta el uso de instrumentos rotatorios de níquel-titanio a alta velocidad, siendo la técnica mecanizada sensiblemente más rápida que la manual para lograr dicho objetivo (7).

En este tipo de casos, donde las bacterias llevan mucho tiempo adaptadas al entorno y están organizadas en biofilms, la activación de los irrigantes se torna fundamental a fin de intentar reducir la carga bacteriana presente en los conductos por debajo del umbral que nuestro cuerpo es capaz de controlar (8, 9).

Para finalizar el caso con éxito es necesario, tras la buena conformación y desinfección del sistema de conductos, el relleno tridimensional del mismo, que será crucial para asegurar el éxito a largo a largo plazo y evitar que exista una recolonización de bacterias que produciría de nuevo un fracaso del caso (10).

Para ello, los nuevos cementos biocerámicos son de gran ayuda por diversas razones. Su gran característica es la biocompatibilidad, ya que no producen respuesta inflamatoria de los tejidos periapicales cuando entran en contacto con ellos (11). Son estables en ambientes biológicos y no sufren contracción de fraguado. Además, tienen la capacidad de producir hidroxiapatita durante su proceso de fraguado, generando un enlace químico entre la dentina y el material de obturación (12).

Figura 5. Inyección del cemento Neosealer Flo® en el interior del conducto mediante la punta aplicadora.
100 Gaceta Dental · N o 357 | Mayo 2023 CIENCIA
Figura 6. Radiografía final postoperatoria del caso donde observamos el conducto obturado.
Y CLÍNICA. Caso clínico

Presentan, además, un pH muy alcalino durante las primeras 24 horas de fraguado, lo cual se traduce en una elevada actividad antibacteriana (13). Por último, a nivel clínico, la gran ventaja reside en su facilidad de uso, ya que pueden ser usados en una jeringa premezclada (14).

CONCLUSIONES

El diagnóstico previo es fundamental en casos de retratamiento para establecer la causa principal del fracaso anterior y poder brindar

al diente una segunda oportunidad antes de la extracción.

Los nuevos sistemas reciprocantes como las limas Excalibur® (Zarc4Endo, Gijón, España) son de gran ayuda para retirar material de obturación antiguo de una manera rápida, segura y eficaz.

La comodidad y ventajas que nos aportan los nuevos cementos biocerámicos selladores como el Neosealer Flo® (Zarc4Endo, Gijón, España) hacen de ellos una herramienta muy útil en casos de retratamiento. ●

BIBLIOGRAFÍA

1. SALEHRABI R, ROTSTEIN I. Epidemiologic evaluation of the outcomes of orthograde endodontic retreatment. J Endod. 2010 May; 36 (5): 790-2.

2. PRADA I, MICÓ MUÑOZ P, GINER LLUESMA T, MICÓ MARTÍNEZ P, COLLADO CASTELLANO N, MANZANO SAIZ A. Influence of microbiology on endodontic failure. Literature review Med Oral Patol Oral Cir Bucal. Mayo 2019.

3. GOOD ML, MCCAMMON A. An removal of gutta-percha and root canal sealer: a literature review and an audit comparing current practice in dental schools. Dent Update. 2012 Dec; 39 (10): 703-8.

4. TORABINEJAD M, CORR R, HANDYSIDES R, SHABAHANG S. Outcomes of nonsurgical retreatment and endodontic surgery: a systematic review. J Endod. 2009 Jul; 35 (7): 930-

7.

5. EDLUND M, MADHU K, UMADEVI N. Detection of Vertical Root Fractures by Using Cone-beam Computed Tomography: A Clinical Study Nair. Journal of Endodontics Vol. 37.

6. DE CHEVIGNY C, DAO TT, BASRANI BR, MARQUIS V, FARZANEH M, ABITBOL S, FRIEDMAN S. Treatment outcome in endodontics: the Toronto study-phases 3 and 4: orthograde retreatment. J Endod. 2008 Feb; 34 (2): 131-7.

7. HAMMAD M, QUALTROUGH A, SILIKAS N. Threedimensional evaluation of effectiveness of hand and rotary instrumentation for retreatment of canals filled with different materials. J Endod. 2008 Nov; 34 (11): 1370-1373.

8. ZEHNDER M. Root canal irrigants. J Endod. 2006 May; 32 (5): 389-98.

9. SIQUEIRA JF JR, RÔÇAS IN. Clinical implications and microbiology of bacterial persistence after treatment procedures. J Endod. 2008 Nov; 34 (11): 1291-1301.e3.

10. MULIYAR S, SHAMEEM KA, THANKACHAN RP, FRANCIS PG, JAYAPALAN CS, HAFIZ KA. Microleakage in endodontics. J Int Oral Health. 2014 Nov-Dec; 6 (6): 99-104.

11. JITARU S, ET AL. The use of bioceramics in endodonticsliterature review. Clujul Medical (2016); 4:470-473.

12. MALHOTRA S, HEDGE M, SHETTY C. Bioceramic Technology in Endodontics, British Journal of Medicine & Medical Research (2014); 4 (12): 2446-2454.

13. KOCH K, ET AL. Bioceramics, Part I: The Clinician’s Viewpoint, Dentistry Today (2012); 1: 130-136.

14. KOCH KA, BRAVE DG. Bioceramics, Part 2: the clinician’s viewpoint. Dent Today (2012) 31: 118, 120, 122–125.
101 Gaceta Dental · N o 357 | Mayo 2023
Y CLÍNICA
Caso clínico. CIENCIA

Ciencia y clínica

Periodontitis y enfermedades neurológicas

Con la colaboración de:

Martín Neurólogo. Grupo de trabajo Sociedad Española de Neurología-SEPA.

Dr. José Vivancos Neurólogo. Grupo de trabajo Sociedad Española de Neurología-SEPA.

CORRESPONDENCIA AUTORES:

Yago Leira Feijóo

Dirección: Unidad de Periodoncia, Facultad de Odontología, Universidad de Santiago de Compostela. Calle Entrerríos S/N. 15782 Santiago de Compostela-A Coruña.

Teléfono: +34 626 770 986

Correo electrónico: yagoleira@gmail.com

Las enfermedades neurológicas, entre las que destacan por su frecuencia y morbimortalidad las enfermedades cerebrovasculares y las demencias, constituyen un grave problema de salud pública, siendo muy relevantes los enormes problemas de discapacidad que comportan. En los últimos años, a los factores de riesgo conocidos en la génesis y progresión de estas enfermedades, se ha valorado que la periodontitis pueda influir de alguna manera en la etiopatogenia de estos cuadros neurológicos. En el presente artículo se revisa la evidencia científica al respecto y se recomiendan una serie de prácticas a realizar en la consulta dental encaminadas a la prevención y cuidado de estos enfermos.

ABSTRACT

Neurological diseases, among which cerebrovascular diseases and dementias stand out due to their frequency and morbidity and mortality, constitute a serious public health problem, with the enormous

Periodoncista. Coordinador Grupo de trabajo Sociedad Española de Neurología-SEPA. Dr. Miguel Carasol Periodoncista. Grupo de trabajo Sociedad Española de Neurología-SEPA. Dra. Ana Frank Neuróloga. Grupo de trabajo Sociedad Española de Neurología-SEPA. Dr. Pedro Diz Catedrático y director de la Unidad de Odontología para Pacientes con Necesidades Especiales de la USC. Grupo de trabajo Sociedad Española de Neurología-SEPA. Dr. Ángel DR. YAGO LEIRA
Gaceta Dental · N o 357| Mayo 2023 CIENCIA Y CLÍNICA. Ciencia 102

disability problems for which they are responsible. In recent years, in addition to the known risk factors in the genesis and progression of these diseases, it has been assessed that periodontitis may somehow influence the etiopathogenesis of these neurological conditions. In this article, the scientific evidence in this regard is reviewed, a series of practices are recommended to be carried out in the dental office aimed at the prevention and care of these patients, as well as an interview with one of the leading specialists in these possible relationships.

INTRODUCCIÓN Periodontitis

La periodontitis es una enfermedad crónica inmunoinflamatoria de etiología multifactorial, que se caracteriza por una destrucción progresiva de la inserción periodontal y del hueso alveolar de soporte del diente (1). Si la periodontitis no se controla puede dar lugar a la pérdida prematura de los dientes, lo que afectará tanto a la función como a la estética, generando un impacto negativo en la calidad de vida del paciente (Figura 1)

La periodontitis tiene una alta prevalencia en la población adulta y aumenta gradualmente con la edad. En España, en un estudio epidemiológico reciente se concluyó que alrededor del 38% de los adultos presentaban bolsas periodontales profundas, superando el 60% entre los mayores de 55 años (2).

A nivel fisiopatológico, la respuesta del huésped a la colonización bacteriana provoca cambios tisulares que promueven un microambiente subgingival alterado, lo que favorecerá la proliferación de patógenos periodontales y

la consecuente aparición de la periodontitis si las condiciones genéticas y ambientales favorecen el desarrollo de la enfermedad y su progresión (3). Por otro lado, la periodontitis no sólo afecta localmente a la cavidad oral, sino que también tiene efectos a nivel sistémico al generar un estado inflamatorio crónico de bajo grado, estando relacionada con enfermedades crónicas no transmisibles de origen inflamatorio y elevada prevalencia, como las enfermedades vasculares, metabólicas, neurodegenerativas, autoinmunes, etc. (4).

Enfermedades neurológicas

•Enfermedad cerebrovascular Bajo la denominación de enfermedad cerebrovascular (ECV) se aglutinan un grupo heterogéneo de condiciones patológicas que implican a los vasos sanguíneos cerebrales, y que comparten como característica común el daño focal o global del tejido cerebral debido a un desajuste entre el aporte y los requerimientos de oxígeno y otros substratos.

Figura 1. Periodontitis avanzada y sus consecuencias locales.
Gaceta Dental · N o 357 | Mayo 2023 Ciencia. CIENCIA Y CLÍNICA 103
PALABRAS CLAVE Odontología; consulta dental; periodontitis; patología cerebrovascular; demencias.

El ictus es la ECV más prevalente y relevante; engloba al infarto cerebral, la hemorragia cerebral y la hemorragia subaracnoidea, siendo el de etiología isquémica el más frecuente (85%). Su incidencia aproximada es de 160-180 casos por 100.000 habitantes/año, lo que supone unos 80.000 ictus al año en España (5), es decir, se registra un caso cada 6 minutos y uno de cada 6 españoles sufrirá un ictus a lo largo de su vida.

Aproximadamente el 75% de los casos afectan a mayores de 65 años y se estima que en el año 2025, 1.200.000 españoles habrán sobrevivido a un ictus, de los cuales más de 500.000 tendrán alguna secuela discapacitante (actualmente se cifran en 300.000 pacientes). De hecho, es la primera causa de discapacidad grave del adulto: uno de cada cuatro pacientes que sufren un ictus padecerán secuelas motoras, sensoriales, expresivas, cognitivas o conductuales (6).

El ictus es la segunda causa de demencia (5). Representa la primera causa de muerte en la mujer y la segunda globalmente. En España,

el ictus supone aproximadamente un 10% de la mortalidad total. No obstante, existe una tendencia decreciente en las cifras de mortalidad en los últimos 30 años, relacionada con la detección y el control de los principales factores de riesgo, en particular la hipertensión arterial, con la presentación de formas clínicas más leves y con la mejora de atención sanitaria prestada a estos pacientes (7).

En cuanto a la fisiopatología del ictus, cabe señalar que el tejido cerebral es estrictamente dependiente del aporte adecuado de oxígeno y glucosa para su funcionamiento normal. El ictus isquémico es consecuencia de una interrupción del flujo sanguíneo cerebral que provoca el cese brusco de este aporte, lo que pone en marcha una cascada de reacciones moleculares que lleva aparejada inicialmente alteraciones de las funciones cerebrales y que, si se mantiene esta situación en el tiempo, conducirán finalmente a la muerte celular (Figura 2). Las manifestaciones clínicas dependerán de la arteria afectada y de la extensión de tejido lesionado. En el caso del ictus hemorrágico, se suma además la presencia de un volumen de sangre extravasado (hematoma) contenido en un espacio inexpandible (el cráneo), lo que provoca una situación de hipertensión intracraneal aguda, pudiendo acarrear una discapacidad grave o el fallecimiento del paciente (Figura 3).

El ictus, por su incidencia, prevalencia y repercusión sociosanitaria de gran magnitud es una de las enfermedades sistémicas más relevantes (8). El impacto del ictus se reparte en tres esferas. La primera es la propia víctima. La

Gaceta Dental · N o 357| Mayo 2023 CIENCIA Y CLÍNICA. Ciencia 104
Figura 2. Consecuencias radiológicas de un ictus isquémico.

segunda esfera es la familia del paciente. En tercer lugar, se incluye al resto de la sociedad, que sufre el impacto del enorme coste para el sistema de salud de los cuidados y complicaciones de estos pacientes en situación de dependencia. Se estima que el ictus consume entre el 3% y el 4% del gasto sanitario en los países de rentas elevadas, de los que el 76% de los costes sanitarios directos se generan durante el primer año tras el evento, concentrados mayoritariamente en gastos hospitalarios. En España, el coste del ictus requeriría un consumo de recursos valorados en casi 29.000 euros anuales (9, 10).

•Demencias

El concepto de demencia hace referencia a un deterioro progresivo de las funciones cognitivas del paciente, que repercute en su funcionalidad y en el desempeño de sus actividades de la vida diaria (11). Hay dos grandes grupos etiológicos de las demencias: las

degenerativas primarias y las de causas secundarias. Dentro de las primeras, algunas son de origen genético (una mínima proporción) y en su mayoría se desconoce qué es lo que las desencadena. Las demencias secundarias se producen como consecuencia de procesos que originan un daño cerebral, ya sea de forma directa (demencia vascular por ictus, traumatismo craneoencefálico, tumores, etc.) o indirecta (tóxicos, infecciones, trastornos metabólicos o carenciales, etc.) (12).

En las demencias de causa degenerativa, como la enfermedad de Alzheimer, los cambios patológicos en el cerebro comienzan años o incluso décadas antes de que el paciente desarrolle los primeros síntomas. Posteriormente, pasa por una fase de deterioro cognitivo leve, en la que, aún presentando disfunciones cognitivas, todavía conserva su autonomía. Finalmente, llega a la fase de demencia propiamente dicha, en la que la pérdida de funcionalidad hace que

«Los sujetos con periodontitis tienen 1,7 veces más riesgo de padecer demencia de tipo Alzheimer que los periodontalmente sanos»
106 Gaceta Dental · N o 357| Mayo 2023 CIENCIA Y CLÍNICA.
Figura 3. Angiografía por resonancia magnética de un caso de ictus hemorrágico.
Ciencia

EL ÚNICO ADHESIVO UNIVERSAL DE CURADO DUAL EN SINGLEDOSE

• Libertad ilimitada:

facilidad

¡Eficacia y para la adhesión más exigente!

– Todas las técnicas de grabado – todas las indicaciones – todos los composites (sin activador)

• Una aplicación completamente segura por el SingleDose:

– Se aplica en una capa - sólo se necesitan 35 segundos para trabajarlo

– Aplicación simple, rápida e higiénica

• Probado un millón de veces desde hace 10 años, calidad made in Germany

Futurabond® U VOCO GmbH · Anton-Flettner-Straße 1-3 · 27472 Cuxhaven · Alemania · Línea gratuita 00 800 44 444 555 · www.voco.dental

la persona sea dependiente para sus actividades diarias, requiriendo supervisión y cuidados crecientes. Esta concepción de procesos neurodegenerativos como un «continuum» desde fases preclínicas hasta la demencia ha supuesto un cambio de paradigma en el diagnóstico y la investigación de estas enfermedades, permitiendo estudiar los mecanismos que subyacen a la neurodegeneración desde estadios precoces gracias al desarrollo de biomarcadores que nos permiten su detección (13).

Clásicamente, las demencias degenerativas se han clasificado de acuerdo con su etiopatogenia, aunque en la actualidad se pueden definir en base a los biomarcadores que la caracterizan biológicamente, lo que en algunos casos permiten reconocerlas en etapas muy incipientes o presintomáticas. La más frecuente, sin duda, es la enfermedad de Alzheimer, que se caracteriza por los depósitos de péptido beta-

amiloide en forma de placas seniles y proteína TAU fosforilada en forma de ovillos neurofibrilares. Aunque su forma de presentación más frecuente y característica es la de un síndrome amnésico con pérdida progresiva de memoria episódica, se han descrito otros fenotipos atípicos en los que predomina la alteración de lenguaje (formas logopénicas de afasia primaria progresiva), de funciones ejecutivas (variante frontal o disejecutiva) o de habilidades visuoespaciales (14). Existen otros tipos de demencias degenerativas como la lobular frontotemporal (incluye demencia frontotemporal y los Parkinsonismos atípicos) y las alfa-sinucleinopatías (engloba la demencia de cuerpos de Lewy, la demencia asociada a Parkinson, etc.) (15).

Las demencias degenerativas son entidades frecuentes en la población general, con una incidencia que aumenta con la edad, ya que este es el principal factor de riesgo para la mayoría de ellas, particularmente para la enfermedad de Alzheimer. En el último informe de la Asociación Americana de Alzheimer se estima que en torno a 6,5 millones de estadounidenses mayores de 65 años presentan enfermedad de Alzheimer y que el 73% tienen más de 75 años, calculándose que la prevalencia podría aumentar hasta alcanzar a los 13,8 millones de personas en el año 2060 (16), a pesar de que en numerosos estudios epidemiológicos se observa una reducción de la incidencia de demencia (17).

Por otro lado, en muchos estudios se ha señalado que el diagnóstico de las demencias suele ser tardío y que estas entidades podrían estar infradiagnosticadas en fases precoces del deterioro cognitivo,

Gaceta Dental · N o 357| Mayo 2023 CIENCIA Y CLÍNICA. Ciencia 108
Figura 4. Resonancia magnética. Enfermedad de Alzheimer avanzada.

transcurriendo un tiempo medio entre el inicio de los síntomas y el diagnóstico de 28,4 meses (18), estando un 40% de los casos en fases moderadas o avanzadas de la enfermedad en el momento del diagnóstico (19) (Figura 4).

La causa de las demencias degenerativas primarias se desconoce en la mayoría de los pacientes. Tan sólo en los casos familiares hereditarios se puede identificar una mutación responsable, aunque estas formas son poco frecuentes (1-5% en enfermedad de Alzheimer y 7-10% en demencia frontotemporal). Estas enfermedades se caracterizan por el depósito de proteínas anómalas en el tejido cerebral, ya sea en las neuronas, las células gliales o el espacio extracelular. Aunque este depósito de proteína no sea la causa principal de la enfermedad,

está íntimamente relacionado con el proceso degenerativo y en algunos casos, como la proteína TAU fosforilada en la enfermedad de Alzheimer, se correlaciona directamente con el inicio de los síntomas. Independientemente de la proteína depositada, ésta se propaga a través de redes neuronales produciendo pérdida neuronal y sináptica, que se traduce en la

«Los sujetos con periodontitis tienen 2,8 veces más riesgo de sufrir un ictus isquémico que los que no la tienen»
Gaceta Dental · N o 357 | Mayo 2023 Ciencia. CIENCIA Y CLÍNICA 109
Figura 5. Mecanismos de plausibilidad biológica entre la periodontitis y la enfermedad cerebrovascular isquémica. BHE, barrera hematoencefálica.

alteración progresiva de funciones cognitivas, lo que constituyen las principales manifestaciones clínicas en estos pacientes. Las demencias son enfermedades que producen un gran impacto en el paciente y en su entorno, debido a la dependencia progresiva del sujeto para llevar a cabo sus actividades básicas e instrumentales de la vida diaria. Los recursos que implican la atención y el cuidado de estos pacientes son tanto sanitarios como sociales o de las personas cercanas. En 2021 se estimaba que en torno a 11 millones de estadounidenses se encargaban del cuidado de pacientes con enfermedad de Alzheimer u otras demencias. El 83% eran familiares, amigos o cuidadores no remunerados. El tiempo dedicado estimado era de un total de 16 mil millones de horas anuales. El gasto total del cuidado de una persona con demencia a lo largo

de toda su enfermedad se estima en 377.620 dólares, donde se incluyen costes directos e indirectos (16). Asociación entre la periodontitis y las enfermedades cerebrovasculares (ECV)

•¿La existencia de periodontitis se asocia con un mayor riesgo de ECV?

Los resultados de un metaanálisis de estudios epidemiológicos longitudinales demostraron que los sujetos con periodontitis tienen 2,8 veces más riesgo de sufrir un ictus isquémico que los que no tienen periodontitis (20). Además, en un estudio de cohortes prospectivo se concluyó que la periodontitis aumentaba significativamente el riesgo de fallecer por un evento cerebrovascular isquémico (21). Los datos disponibles en relación con el ictus hemorrágico son inconsistentes (21, 22). Sin embargo, en un estudio

Gaceta Dental · N o 357| Mayo 2023 CIENCIA Y CLÍNICA. Ciencia 110
Figura 6. Mecanismos de plausibilidad biológica entre la periodontitis y el deterioro cognitivo.

realizado recientemente en Finlandia se ha demostrado que la periodontitis grave puede aumentar la probabilidad de padecer un aneurisma intracraneal (23).

•¿La existencia de periodontitis condiciona la evolución y el desenlace de la ECV?

Aunque la evidencia es limitada, algunos estudios observacionales han revelado que pacientes que han sufrido un ictus isquémico y tienen un diagnóstico confirmado de periodontitis, presentan un mayor riesgo de padecer un evento vascular recurrente, peor pronóstico funcional, mayor déficit neurológico y depresión postictus, que aquellos sin periodontitis (24, 25).

•¿Hay mecanismos de plausibilidad biológica que puedan explicar la relación entre periodontitis y ECV?

En los pacientes con periodontitis, tanto las bacterias periodontales como sus productos tóxicos y los mediadores proinflamatorios producidos localmente en los tejidos periodontales pueden acceder al torrente sanguíneo a través del epitelio periodontal ulcerado. Esto provoca una respuesta inmunoinflamatoria que, junto con una posible reacción inflamatoria sistémica de fase aguda a nivel hepático, desencadenará un estado protrombótico de hipercoagulabilidad y de disfunción del endotelio vascular que aumenta el riesgo de embolismo/trombosis cerebral y de formación/ruptura de las placas de ateroma, cuya expresión clínica será la aparición de un evento cerebrovascular de origen isquémico (26) (Figura 5).

•¿El tratamiento periodontal puede

reducir el riesgo de padecer ECV y/o modificar su evolución?

Hasta el momento, no se ha publicado ningún ensayo clínico intervencionista sobre el efecto del tratamiento periodontal en la prevención primaria o secundaria de la ECV. No obstante, en numerosos estudios poblacionales se ha observado una reducción significativa del riesgo de eventos cerebrovasculares (isquémicos y hemorrágicos) en relación con diferentes intervenciones de salud oral, como el cepillado dentario regular (≥3 veces/día), la limpieza dental profesional periódica o el tratamiento periodontal (27). Además, se ha comprobado que las visitas regulares al dentista (≥1 veces/año) también constituyen un factor protector de sufrir un ictus en el futuro (24).

Asociación entre la periodontitis y la demencia

•¿La existencia de periodontitis se asocia con un mayor riesgo de demencia?

Los resultados de un metaanálisis de estudios epidemiológicos demostraron que los sujetos con periodontitis tienen 1,7 veces más riesgo de padecer demencia de tipo Alzheimer que los periodontalmente sanos (28). El riesgo aumenta de manera significativa -hasta llegar a triplicarse- en los pacientes que presentan formas más graves de periodontitis. La evidencia disponible con respecto a la relación entre periodontitis y demencia vascular es más limitada, aunque parece seguir la misma tendencia (29).

•¿La existencia de periodontitis condiciona el rendimiento en las pruebas cognitivas?

En numerosos estudios epidemiológicos se ha constatado

112 Gaceta Dental · N o 357| Mayo 2023 CIENCIA Y CLÍNICA.
Ciencia

que los resultados obtenidos por individuos con periodontitis en diferentes pruebas neuropsicológicas para la evaluación de la función cognitiva (mini-mental state examination, digit symbol substitution test, block design score y serial digit learning test), son peores que los alcanzados por individuos periodontalmente sanos (30, 31).

•¿Existe una asociación bidireccional entre periodontitis y deterioro cognitivo/demencia? En diferentes estudios poblacionales se ha sugerido que el riesgo de sufrir periodontitis en los sujetos que padecen demencia o que tienen deterioro cognitivo es mayor que entre los cognitivamente sanos (32).

Estos hallazgos se complementan con los de un estudio transversal de base poblacional, en el que claramente se demostró que una buena función cognitiva representa un factor protector frente a la periodontitis (33).

•¿Hay mecanismos de plausibilidad biológica que puedan explicar la relación entre periodontitis y deterioro cognitivo? Como ya se ha comentado previamente, en la periodontitis se producen episodios recurrentes de bacteriemias y endotoxemias, así como un estado de inflamación crónica de bajo grado.

Todo ello contribuye de manera significativa al desarrollo de procesos neurodegenerativos involucrados en la disfunción cognitiva, particularmente los característicos de la enfermedad de Alzheimer, como astrogliosis, microgliosis, neuroinflamación y daño/muerte neuronal, así como la formación en el tejido cerebral de

placas seniles de beta amiloide y de ovillos neurofibrilares, que contienen la proteína TAU hiperfosforilada (34) (Figura 6).

•¿El tratamiento periodontal puede condicionar la evolución del deterioro cognitivo y/o la de sus marcadores?

Hasta la fecha, no se ha publicado ningún estudio de intervención sobre el efecto del tratamiento periodontal en la prevención primaria de la demencia. Sin embargo, en numerosos estudios poblacionales se ha detectado una reducción significativa del riesgo de demencia tras la realización de diferentes intervenciones de salud oral, como profilaxis dental profesional o tratamiento periodontal (35). Además, también se ha comprobado que las visitas rutinarias al dentista (≥1 veces/año) constituyen un factor relativamente protector de padecer demencia en el futuro (36). Recientemente, en un estudio con un diseño cuasiexperimental, en el que se combinaron datos de pacientes con y sin periodontitis de dos bases de datos epidemiológicas distintas, se confirmó un efecto beneficioso del tratamiento periodontal sobre la atrofia cerebral característica de la enfermedad de Alzheimer (37). En cuanto a estudios de prevención secundaria, la evidencia disponible de que el tratamiento odontológico o determinadas medidas de higiene oral puedan mejorar la función cognitiva en pacientes con deterioro cognitivo, es solo limitada (38).

CONCLUSIONES Asociación entre la periodontitis y la enfermedad cerebrovascular (ECV)

-Los sujetos con periodontitis tienen 2,8 veces más riesgo de sufrir un

Gaceta Dental · N o 357 | Mayo 2023 Ciencia. CIENCIA Y CLÍNICA 113

ictus isquémico que los que no tienen periodontitis.

-Los datos disponibles en relación con el ictus hemorrágico son inconsistentes.

-Existe evidencia limitada sobre la mayor incidencia de un evento vascular recurrente en pacientes con periodontitis.

-La respuesta inmunoinflamatoria crónica de la periodontitis desencadenaría un estado protrombótico de hipercoagulabilidad y de disfunción del endotelio vascular que puede aumentar el riesgo de embolismo/trombosis cerebral.

-No existen estudios de intervención sobre el efecto del tratamiento periodontal en la prevención primaria o secundaria de la ECV.

FECHA CLAVE: 11 DE MAYO

Como antesala de la celebración del Día de la Periodoncia, el 11 de mayo en un acto institucional se presenta un documento de consenso firmado por la Sociedad Española de Periodoncia (SEPA) y la Sociedad Española de Neurología (SEN).

El texto, fruto del trabajo del grupo SEPASEN, creado en 2019, estrecha lazos entre dos colectivos sanitarios, que, gracias a su comunicación y apoyo mutuo, pueden contribuir a mejorar la calidad asistencial y la salud de los pacientes.

-En varios estudios observacionales se ha constatado una reducción significativa del riesgo de eventos cerebrovasculares (isquémicos y hemorrágicos) en relación con diferentes intervenciones de salud oral, incluyendo las visitas regulares al dentista.

Asociación entre la periodontitis y la demencia

-Los sujetos con periodontitis tienen 1,7 veces más riesgo de padecer demencia de tipo Alzheimer que los periodontalmente sanos. La evidencia disponible con respecto a la relación entre periodontitis y demencia vascular es más limitada.

-Los individuos con periodontitis alcanzan peores resultados que los individuos periodontalmente sanos en diferentes pruebas neuropsicológicas para la evaluación de la función cognitiva.

-En la periodontitis se producen episodios recurrentes de bacteriemias y endotoxemias, generando un estado de inflamación crónica de bajo grado que contribuye, de manera significativa, al desarrollo de procesos neurodegenerativos involucrados en la disfunción cognitiva.

-No existen estudios de intervención sobre el efecto del tratamiento periodontal en la prevención primaria de la demencia. A nivel de prevención secundaria, la evidencia es muy limitada.

-En estudios observacionales, se ha confirmado una reducción significativa del riesgo de demencia en relación con diferentes intervenciones de salud oral, incluyendo las visitas regulares al dentista, así como un efecto beneficioso del tratamientoperiodontal sobre la atrofia cerebral. ●

ACCEDE AL VÍDEO ISCIIS ES ES AUT OMNIENDITIA 114 Gaceta Dental · N o 357| Mayo 2023 CIENCIA Y CLÍNICA.
Ciencia

¿QUIERES SABER MÁS SOBRE LA ALIANZA POR LA SALUD BUCAL Y GENERAL?

A través de diferentes grupos de trabajo, SEPA lleva años trabajando en diversos aspectos médicos de la periodontitis, así como en la detección precoz de enfermedades y factores de riesgo sistémico en la consulta dental, tratando de esta manera al paciente como un todo a partir de la perspectiva bucodental

RECOMENDACIONES

1. Consejos relacionados con las enfermedades neurológicas en el entorno odontológico

• Todos los pacientes

-Evitar hábitos tóxicos en general, especialmente el abuso de alcohol.

-Evitar el consumo de tabaco.

-Fomentar hábitos de vida saludables.

-Fomentar la realización de ejercicio físico y actividad cognitiva de forma continuada.

-Recomendar un adecuado control de enfermedades y factores de riesgo vascular (hipertensión arterial, diabetes mellitus, dislipidemia, obesidad…).

• Paciente con ictus

-Evitar la retirada de antiagregación/anticoagulación, salvo en aquellos procedimientos en los que sea estrictamente necesario, y hacerlo durante el mínimo tiempo posible, valorando en los casos en los que esté indicado, la necesidad de terapia antitrombótica puente sustitutiva y proporcionando información al paciente sobre los riesgos de su retirada.

-Informar sobre síntomas de alarma y la recomendación de avisar inmediatamente a los servicios de emergencia.

• Pacientes con crisis epilépticas post ictus

-Evitar el uso de antibióticos que disminuyan el umbral convulsivo (quinolonas).

-Informar sobre las medidas generales a tener en cuenta en caso de una crisis epiléptica: posición lateral de seguridad, proteger el entorno, evitar introducir objetos en la boca del paciente, etc.

• Pacientes con deterioro cognitivo

-Informar al paciente y cuidador sobre la importancia de una adecuada higiene dental y vigilar signos de infección o patología odontológica.

-Tratar el dolor en todo paciente con deterioro cognitivo y enfermedad odontológica, particularmente en aquellos en los que exista agitación aunque el paciente no se queje expresamente de dolor. Evitar opiáceos en el tratamiento del dolor.

-Evitar sedación en la medida de lo posible y, en caso de ser necesaria, utilizar la mínima dosis eficaz.

2. Consejos acerca de la periodontitis desde las unidades de neurología

• Todos los pacientes

-Instar a todos los pacientes (o a sus cuidadores) a que incorporen el cepillado dental a sus hábitos de higiene diaria (al menos dos veces al día con pasta dental fluorada, durante dos minutos cada cepillado).

Gaceta Dental · N o 357 | Mayo 2023 Ciencia. CIENCIA Y CLÍNICA 115

-Insistir a todos los pacientes en que deben someterse a revisiones odontológicas periódicas (al menos una vez al año).

• Sospecha de periodontitis

-Instar a todos los pacientes con condiciones de riesgo o signos/ síntomas de sospecha de periodontitis a someterse cuanto antes a una revisión odontológica

-Indagar si existen condiciones de riesgo:

-Tabaquismo

-Diabetes

-Neutropenia

-Inmunodeficiencias (congénitas/adquiridas)

-Medicación inmunosupresora

-Preguntar y explorar signos/síntomas de sospecha:

-Sangrado gingival (espontánea o con el cepillado)

-Encías de color blanquecino, enrojecidas o amoratadas

-Mal aliento (halitosis)

-Movilidad dental

-Desplazamiento progresivo de los dientes

-Raíces dentarias expuesta

• Diagnóstico confirmado de periodontitis

-Instar a todos los pacientes con diagnóstico de periodontitis a someterse cuanto antes a tratamiento periodontal específico.

-Insistir en la necesidad de cumplir las instrucciones proporcionadas por el odontólogo y de asistir a las revisiones periódicas.

BIBLIOGRAFÍA

1. PAPAPANOU PN, SANZ M, BUDUNELI N, ET AL. Periodontitis: consensus report of working group 2 of the 2017 World Workshop on the Classification of Periodontal and Peri-implant Diseases and Conditions. J Clin Periodontol 2018; 45: 162-70.

2. CARASOL M, LLODRA JC, FERNÁNDEZ MESEGUER A, ET AL. Periodontal conditions among employed adults in Spain. J Clin Periodontol 2016; 43: 548-56.

3. BARTOLD PM & VAN DYKE T. Periodontitis: a host-mediated disruption of microbial homeostasis. Unlearning learned concepts. Periodontol 2000 2013; 62: 203-17.

4. HAJISHENGALLIS G & CHAVAKIS T. Local and systemic mechanisms linking periodontal disease and inflammatory comorbidites. Nat Rev Immunol 2021; 21: 426-40.

5. DÍAZ GUZMÁN J, EGIDO JA, RAFAEL GABRIEL SÁNCHEZ R, ET AL. Stroke and transient ischemic attack. Incidence rate in Spain: The IBERICTUS Study. Cerebrovasc Dis 2012; 34: 272-81.

6. MASJUAN J, ÁLVAREZ SABÍN J, ARENILLAS J, ET AL. Plan de asistencia sanitaria al ICTUS II. 2010. Neurologia 2011; 26: 383-96.

7. INSTITUTO NACIONAL DE ESTADÍSTICA 2021. Encuesta sobre Discapacidades, Deficiencias y Estado de Salud 2020. Disponible en: http://www.ine.es [Accedido 30 noviembre 2022].

8. LLOYD JONES D, ADAMS EJ, BROWN TM, ET AL. Writing Group Members of the American Heart Association Statistics Committee and Stroke Statistics Subcommittee. Heart Disease and Stroke Statistics 2010 Update: A Report from the American Heart Association. Circulation 2010; 121: 46-215.

9. MAR J, ÁLVAREZ SABÍN J, OLIVA J, ET AL. The costs of stroke in Spain by aetiology: the CONOCES study protocol. Neurologia 2013; 28: 332-39.

10. DE ANDRÉS NOGALES F, VIVANCOS MORA J, BARRIGA

116 Gaceta Dental · N o 357| Mayo 2023 CIENCIA
Y CLÍNICA. Ciencia

HERNÁNDEZ FJ, ET AL. Grupo de Investigación Estudio CODICE. Use of healthcare resources and costs of acute cardioembolic stroke management in the Region of Madrid: The CODICE Study. Neurologia 2015; 30: 536-44.

11. ASSAL F. History of Dementia. Front Neurol Neurosci 2019; 44: 118-26.

12. HERMANN P & ZERR I. Rapidly progressive dementiasaetiologies, diagnosis and management. Nat Rev Neurol 2022; 18: 363-76.

13. DUBOIS B, HAMPEL H, FELDMAN HH, ET AL. Proceedings of the Meeting of the International Working Group (IWG) and the American Alzheimer’s Association on “The Preclinical State of AD”; July 23, 2015; Washington DC, USA. Preclinical Alzheimer’s disease: definition, natural history, and diagnostic criteria. Alzheimers Dement 2016; 12: 292-323.

14. KNOPMAN DS, AMIEVA H, PETERSEN RC, ET AL. Alzheimer disease. Nat Rev Dis Primers 2021; 7: 33.

15. KAWAKATSU S, KOBAYASHI R, SAKAMOTO K, OTANI K. [Frontotemporal lobar degeneration: a historical overview of the concept]. Brain Nerve 2020; 72: 561-73.

16. ALZHEIMER’S ASSOCIATION 2022. Alzheimer’s disease facts and figures. Alzheimers Dement 2022;18: 700-89.

17. WU YT, BEISER AS, BRETELER MMB, ET AL. The changing prevalence and incidence of dementia over time - current evidence. Nat Rev Neurol 2017; 13: 327-39.

18. ALOM POVEDA, J., BAQUERO, M., & GONZALEZ ADALID GUERREIRO, M . [Clinical stages of patients with Alzheimer disease treated in specialist clinics in Spain. The EACE study]. Neurologia 2013; 28: 477-87.

19. CALVO PERXAS, L., OSUNA, M. T., GICH, J, ET AL. [Clinical and demographic characteristics of the cases of dementia diagnosed in the Health District of Girona throughout the period 2007-2010: data from the Girona Dementia Registry (ReDeGi)]. Rev Neurol 2012; 54: 399-406.

20. LEIRA Y, SEOANE J, BLANCO M, ET AL. Association between periodontitis and ischemic stroke: a systematic review and meta-analysis. Eur J Epidemiol 2017;32: 43-53.

21. WU T, TREVISAN M, GENCO RJ, DORN JP, FALKNER KL, & SEMPOS CT. Periodontal disease and risk of cerebrovascular disease: the first national health and nutrition examination survey and its follow-up study. Arch Intern Med 2000;160: 2749-55.

22. PATEL UK, MALIK P, KODUMURI N, ET AL. Chronic periodontitis is associated with cerebral atherosclerosis - A nationwide study. Cureus 2020; 12: e11373.

23. HALLIKAINEN J, LINDGREN A, SAVOLAINEN J, ET AL. Periodontitis and gingival bleeding associate with intracranial aneurysms and risk of aneurysmal subarachnoid hemorrhage. Neurosurg Rev 2020; 43: 669-79.

24. SEN S, GIAMBERARDINO LD, MOSS K, ET AL. Periodontal Disease, Regular Dental Care Use, and Incident Ischemic Stroke. Stroke 2018; 49355-62.

25. LEIRA Y, RODRÍGUEZ-YANEZ M, ARIAS S, ET AL. Periodontitis as a risk indicator and predictor of poor outcome for lacunar infarct. J Clin Periodontol 2019; 46: 20-30

26. LEIRA Y, BLANCO M, BLANCO J & CASTILLO J. [Association between periodontal disease and cerebrovascular disease. A review of the literature]. Rev Neurol 2015; 61: 29-38.

27. CHANG Y, WOO HG, LEE JS & SONG TJ. Better oral hygiene is associated with lower risk of stroke. J Periodontol 2021; 92: 87-94.

28. LEIRA Y, DOMÍNGUEZ C, SEOANE J, ET AL. Is periodontal disease associated with Alzheimer’s disease? A systematic review and meta-analysis. Neuroepidemiology 2017;48: 21-31.

29. KIM HD, SIM SJ, MOON JY, HONG YC, & HAN DH. Association between periodontitis and hemorrhagic stroke among Koreans: a case-control study. J Periodontol 2020; 81: 658-65.

30. SHIN HS, SHIN MS, AHN YB, CHOI BY, NAM, JH & KIM HD. Periodontitis is associated with cognitive impairment in elderly Koreans: results from the Yangpyeong cohort study. J Am Geriatr Soc 2016; 64: 162-67.

31. SUNG CE, HUANG RY, CHENG WC, KAO TW & CHEN WL. Association between periodontitis and cognitive impairment: Analysis of national health and nutrition examination survey (NHANES) III. J Clin Periodontol 2019; 46: 790-98.

32. MA KS, HASTURK H, CARRERAS I, ET AL. Dementia and the risk of periodontitis: a population-based cohort study. J Dent Res 2022; 101: 2017-27.

34. YU YH & KUO HK. Association between cognitive function and periodontal disease in older adults. J Am Geriatr Soc 2008; 56: 1693-97.

34. PAZOS P, LEIRA Y, DOMÍNGUEZ C, PÍAS-PELETEIRO JM, BLANCO J & ALDREY JM. Association between periodontal disease and dementia: a literature review. Neurologia (Engl Ed) 2018; 33: 602-13.

35. YOO JJ, YOON JH, KANG MJ, KIM M & OH N. (2019). The effect of missing teeth on dementia in older people: a nationwide population-based cohort study in South Korea. BMC Oral Health 2019: 19: 61.

36. YAMAMOTO T, KONDO J, HIRAI H, NAKADE M, AIDA J & HIRATA Y. Association between self-reported dental health status and onset of Dementia: a 4-year prospective cohort study of older Japanese adults from the Aichi Gerontological Evaluation Study (AGES) Project. Psychosom Med 2012; 74: 241-48.

37. SCHWAHN C, FRENZEL S, HOLFRETER B, ET AL. Effect of periodontal treatment on preclinical Alzheimer’s diseaseresults of a trial emulation approach. Alzheimers Dement 2022; 18: 127-41.

38. MATSUBARA C, SHIROBE M, FURUYA J, ET AL. Effect of oral health intervention on cognitive decline in communitydwelling older adults: A randomized controlled trial. Arch Gerontol Geriatr 2021; 92: 1042-67.

Gaceta Dental · N o 357 | Mayo 2023 Ciencia. CIENCIA Y CLÍNICA 117
www.radhex.es comercial@radhex.es 900 350 450

a

Di 2 gital al dí

Protocolo Di²gitalArch®️ 2.0: técnica de colocación

Los protocolos Di2gitalArch® para tratamiento full digital implantológico de arcada completa se dividen fundamentalmente en dos. Aquellos en los que usamos referencias ya presentes en la arcada a tratar y aquellos otros en los que colocamos unas referencias en la arcada a tratar.

La razón por la que existen diferentes protocolos Di2gitalArch® es, obviamente, porque las situaciones clínicas que presenta el paciente de arcada completa son muy variadas. Teniendo como norma el lograr un tratamiento sencillo y reproducible en todos los pacientes, es por lo que, en función de la situación clínica del paciente y también del momento del tratamiento, elegiremos un protocolo Di2gitalArch® que nos ayude a abordar y resolver el caso clínico.

El tratamiento implantológico con Di2gitalArch® de arcada completa se inicia, en la mayor parte de casos (aquellos que cumplan con los criterios para carga inmediata; para ello nuestra cirugía y la elección del sistema de implantes debe ir dirigida a la consecución de esos criterios), con la colocación de implantes y la carga inmediata con una prótesis provisional fija, full digital,

en el día.
2
DDS i2 Implantología Madrid. Dra. Sara Perrone DDS i2 Implantología Madrid. Dr. Luis Cuadrado de Vicente MD DDS i2 Implantología Madrid. Dra. Cristina Cuadrado Canals DDS i2 Implantología Madrid. Roberto Vives TPD Laboratorio «Dental Full Digital» Madrid.
Gaceta Dental · N o 357 | Mayo 2023 DI 2GITAL AL DÍ 2 A. Caso clínico 120
DR. LUIS CUADRADO CANALS

Es en ese momento, en la primera cirugía, cuando encontramos las diferentes situaciones clínicas del paciente y, por tanto, debemos elegir qué protocolo Di2gitalArch® usar.

Una vez que el paciente está ya provisionalizado con una prótesis fija, podremos, si es necesario, modificar esta prótesis provisional hasta llegar a la prótesis maqueta definitiva, cuya información copiará el laboratorio en la prótesis final. Es obvio que, a partir de aquella primera cirugía, la situación de todos los pacientes es la misma, todos llevan su prótesis provisional fija. Por tanto, cuando se trata de realizar la prótesis definitiva el tratamiento con Di2gitalArch®, está mucho más estandarizado al tratarse de una situación común a todos ellos.

Así pues, como explicamos extensamente en nuestro libro editado por Quintessence, la parte más importante del tratamiento se circunscribe siempre a esa primera cirugía.

¿Qué protocolo Di2gitalArch® elegir? En líneas generales, Di2gitalArch 2.0 cubre todas las indicaciones. Usando esa técnica podremos tratar la totalidad de situaciones clínicas que se plantean. Di2gitalArch 1.0 estaría más indicado para usarlo al realizar la prótesis definitiva. Si, en cambio, la situación clínica es muy favorable, con elementos fijos en el maxilar a tratar que puedan ser usados como referencia para copiar archivos, usaremos Di2gitalArch Standard o Advanced. Di2gitalArch 1.0 y 2.0 está ya disponible através de Ziacom Medical. Presentamos en esta entrega la manera correcta de usar el método 2.0 (Figuras 1-57). La base del tratamiento inmediato es correlacionar el escaneado preoperatorio del paciente con el escaneado postoperatorio. Para ello es necesario que existan

«En función de la situación clínica del paciente y también del momento del tratamiento, elegiremos un protocolo Di2gitalArch® que nos ayude a abordar y resolver el caso clínico»
Gaceta Dental · N o 357 | Mayo 2023 Caso
DI 2GITAL AL DÍ 2 A 121
Figura 1. Paciente sin referencias en maxilar superior.
clínico.

estructuras fijas en común entre ambos escaneados.

Las técnicas Standard y Advanced usan piezas naturales del paciente o cualquier otra estructura que vaya a permanecer fija y pueda ser incorporada en ambos escaneados, aunque luego sea eliminada. Cuando no es posible encontrar estos elementos de referencia debemos recurrir a la técnica 2.0: paciente con dentadura completa, paciente con piezas periodontales terminales con muy elevada movilidad, paciente con rehabilitación sobre implantes o diente natural fracasada, e intensas atrofias.

La colocación del Di2gitalArch 2.0 se realiza de la siguiente manera: antes de empezar la cirugía se realiza, normalmente, en la zona media, una incisión perpendicular al reborde alveolar, realizando el despegamiento necesario para tener un campo quirúrgico adecuado. Se elige la posición en el hueso del miniimplante, basado en la presencia o no de raíces, puentes, implantes fracasados, dentadura completa. La inclinación es, normalmente, de unos 25 grados en relación a la cresta alveolar. Se usa la primera fresa hasta su tope y, a continuación, la segunda fresa. Tomamos el miniimplante de su vial. Solo hay una posición para retenerlo, ya que la conexión, por su diseño, no es simétrica y todos los aditamentos entran siempre en una única posición. Se trata de un hexágono interno modificado en el que dos de sus caras son un semicírculo. Con el CA

insertamos el implante en su totalidad hasta que la marca longitudinal quede perpendicular al reborde alveolar. Si es necesario finalizar la colocación con el adaptador de carraca procederemos de igual forma. Una vez colocado el miniimplnate, colocamos el Scanbody Di2gitalArch 2.0, que solo tiene una posición. Para ello, la marca longitudinal del Scanbody debe quedar en la misma posición en que quedó la de los aditamentos de inserción del implante. A continuación, escaneamos al paciente, inferior, superior y oclusión, incluyendo en el escaneado del maxilar a tratar y en el de oclusión el Scanbody Di2gitalArch 2.0.

Comenzamos entonces la cirugía, desmontando primero el Scanbody Di2gitalArch 2.0. Al acabar la cirugía, después de colocados los scanbodies de los implantes, colocamos el Scanbody Di2gitalArch 2.0. Hacemos ahora una copia del escaneado preoperatorio y borramos el maxilar a tratar y reescaneamos; en esta ocasión, escaneado postoperatorio que incluye los scanbodies de los implantes con el Scanbody Di2gitalArch 2.0. Podemos realizar en el Trios en clínica, la oclusión manualmente, en la pestaña de oclusión gracias a la presencia del Scanbody Di2gitalArch

2.0 en este escaneado de oclusión o enviar el caso para que sea nuestro laboratorio el que realice la oclusión en Dental System. De esta manera, el laboratorio puede superponer todos los escaneados que contienen el Scanbody Di2gitalArch 2.0. Incluso, si dejamos colocado el miniimplante hasta realizar la prótesis definitiva, el del escaneado para definitiva.

Gracias al Di2gitalArch 2.0 podemos realizar los casos más complejos en el día si contamos con un laboratorio experto como Dental Full Digital de Madrid. ●

«Gracias al Di2gitalArch
ACCEDE
Gaceta Dental · N o 357 | Mayo 2023 DI 2GITAL AL DÍ 2 A. Caso clínico 122
2.0 podemos realizar los casos más complejos»
A ARTÍCULOS ANTERIORES
Figura 4. Incisión perpendicualr al reborde. Figura 5. Primera fresa con tope. Figura 6. Segunda fresa con tope. Figura 7. Miniimplante Di2gitalArch 2.0. Marca longitudinal en el adaptador de CA. Figura 8. Miniimplante 2.0. Figura 9. Colocación con CA del miniimplante. Figura 2. Fracaso de implantes. Ausencia de referencias.
124 Gaceta Dental · N o 357 | Mayo 2023 DI 2GITAL AL DÍ 2 A.
Figura 3. Colocación de Di2gitalArch 2.0 mandíbula edéntula. Caso clínico

MÁXIMA EFICACIA Y SEGURIDAD EN BIOMATERIALES

EXCELENTE RELACIÓN CALIDAD/PRECIO

Hueso 100% natural

Fácil aplicación

Rápida regeneración ósea

Excelente osteoconductividad

Alta humectabilidad

UNA MANERA FÁCIL DE PROTEGER

Colágeno equino Tipo I

Reabsorbible en 10 a 12 semanas

Fácil manejo

Seguro y biocompatible

Consell de Cent 111 Ppal. 2ª 08015, Barcelona- Spain T. +34 93 419 29 68 / info@technologyinbiomaterials.com www.technologyinbiomaterials.com
Hueso esponjoso bovino
Figura 10. Colocación del miniimplante. Figura 11. Implante en el lecho para usar el adaptador de carraca. Figura 12. Finalización con el adaptador manual orientando la marca longitudinal. Figura 13. Primera fresa en un caso con colgajo. Figura 14. Segunda fresa.
Gaceta Dental · N o 357 | Mayo 2023 DI 2GITAL AL DÍ 2 A. Caso clínico 126
Figura 15. La fresa tiene un tope.

NOBEL BIOCARE® BRANEMARK® , NOBEL BIOCARE® REPLACE SELECT®, NOBEL BIOCARE® NOBELACTIVE®, MIS SEVEN®, BTI® ZIMMER® SCREW-VENT®, MIS® C1/V3, NEODENT GM®, BIOMET 3i® OSSEOTITE®, BIOMET 3i® CERTAIN®, STRAUMANN® TISSUE LEVEL®, STRAUMANN® BONE LEVEL®, PHIBO® TSH®, SWEDEN & MARTINA® PREMIUM KOHNO®, KLOCKNER® SK2®/ VEGA® ASTRA® TECH SYSTEMTM EV, ASTRA® TECH OSSEOSPEED®, DENSTPLY® XIVE®, DENSTPLY® ANKYLOS®, MEGAGEN ANYRIDGE® OSSTEM® TS/ HIOSSEN® ET, NEOBIOTECH® IS SYSTEM, DENTIUM SUPERLINETM & IMPLANTIUM®, BIOHORIZONS®.

PRÓXIMAMENTE Tendremos novedades.

Estate atento en nuestros canales:

COMPATIBLES CON LAS PRINCIPALES CONEXIONES DE IMPLANTES
THINK DIGITAL
www.smartimplantsolutions.com
Figura 16. Permite una profundidad fija. Figura 17. Miniimplante colocado en ese caso. Figura 18. Orientación del implante con la marca longitudinal. Figura 19. Conexión del implante. Figura 20. Scanbody Di2gitalArch®.
128 Gaceta Dental · N o 357 | Mayo 2023 DI 2GITAL AL DÍ 2 A. Caso clínico
Figura 21. Para un escaneado preoperatorio de paciente con completa inferior.

THE NEXT EVOLUTION IN LASER DENTISTRY

NOVEDAD

Ofrece 100 vatios de máxima potencia para un corte más rápido, menos calor e incisiones ultra-limpias en el tejido blando

La conectividad Wi-Fi permite recibir actualizaciones inhalámbricas y asistencia técnica especializada

La aplicación móvil y el panel de control supervisan las estadísticas de uso , incluidos el ROI y los datos de procedimientos

Incluye 3 adaptadores para fotobiomodulación (3 mm, 7 mm y 25 mm) para cualquier situación que se presente

Pantalla e interfaz de usuario racionalizados para un control más intuitivo y sencillo

3 longitudes de onda

17 procedimientos preconfigurados divididos en 3 categorías para un uso más eficiente

Utiliza las mismas puntas que el láser Gemini original

ACTIVE STBY ULTRADENT.ES | info@ultradent.es 696 616 752 Área Norte - 616 982 237 Área Levante - 699 888 731 Área Centro
100 WATTS
Figura 22. Vista colusal con un miniimplante 2.0 colocado. Figura 23. Tornillo de cierre para el miniimplante. Figura 24. Sutura final a la espera de la prótesis inmediata. Figura 25. Implante Galaxy Ziacom para carga inmediata. Figura 26. Implante colocado a nivel crestal.
Gaceta Dental · N o 357 | Mayo 2023 DI 2GITAL AL DÍ 2 A. Caso clínico 130
Figura 27. Implante Galaxy Ziacom para carga inmediata. Figura 28. Inserción con la llave manual. Figura 29. Inserción con el CA. Figura 30. Implante Galaxy Ziacom para carga inmediata.Figura 31. Inserción con la llave manual. Figura 32. Pilar multiunit para Galaxy.
132 Gaceta Dental · N o 357 | Mayo 2023 DI 2GITAL AL DÍ 2 A. Caso clínico
Figura 33. Pilares MU colocados. Figura 34. Scanbodies de MU. Figura 35. Scanbodies de MU y Scanbody Di2gitalArch 2.0. Figura 36. Vista oclusal. Figura 37. Escaneado intraoral con Trios. Figura 38. Prótesis inmediata provisional.
133 Gaceta Dental · N o 357 | Mayo 2023 Caso clínico. DI 2GITAL AL DÍ 2 A
Figura 39. Ajuste pasivo con Di2gitalArch. Figura 40. Colocación en caso de fracaso de implantes. Figura 41. Segunda fresa. Figura 42. Miniimplante 2.0. Figura 43. Llave manual logrando la orientación perfecta. Figura 44. Scanbody Di2gitalArch 2.0.
134 Gaceta Dental · N o 357 | Mayo 2023 DI 2GITAL AL DÍ 2 A. Caso clínico
Figura 45. Scanbody colocado.

Neodent® SOLUCIÓN DE ARCO COMPLETO FIJO INMEDIATO

El siguiente nivel para el arco Total fijo inmediato

Soluciones inmediatas para Atrofia mandibular severa

Figura 46. Escaneado preoperatorio con Trios. Figura 47. Oclusión preoperatoia con Trios. Figura 48. Scanbodies de SRA y Scanbody Di2gitalArch. Figura 49. Escaneado postoperatorio. Figura 50. Oclusión en Trios gracias al Di2gitalArch.
Gaceta Dental · N o 357 | Mayo 2023 DI 2GITAL AL DÍ 2 A. Caso clínico 136
Figura 51. Oclusión en Trios.

¡CONSIGUE EL LIBRO DEL DR. LUIS CUADRADO DE VICENTE EN LA TIENDA GACETA DENTAL!

Figura 52. Oclusión real en Trios. Figura 53. Prótesis fija provisional inmediata del caso anterior. Figura 54. Resultado con la provisional inmediata. Figura 55. Oclusión en un caso usando técnica Di2gitalARch 2.0 y Di2gitalArch Standard. Figura 56. Oclusión en Trios. Figura 57. Oclusión en Trios del caso anterior.
Gaceta Dental · N o 357 | Mayo 2023 Caso
DI 2GITAL AL DÍ 2 A 137
clínico.

Informe Las posibilidades de los escáneres intraorales dentro del mundo digital

La toma de impresiones para reproducir de forma precisa el entorno intraoral comenzó a realizarse en el siglo XVIII. Durante todo este tiempo, diferentes materiales y técnicas fueron utilizadas con el objetivo de conseguir una reproducción exacta.

Todo el proceso implicaba la necesidad de tener un buen material de impresión, un buen material de vaciado, la pericia del clínico en la toma de impresión y la del técnico durante el proceso de positivado de la impresión.

El procedimiento en sí mismo, que implica diferentes materiales y profesionales, es el fundamental problema a la hora de conseguir una exacta reproducción intraoral. Además, el transporte y conservación de la impresión, así como el almacenaje del modelo sin daños, se suman a los problemas anteriormente mencionados para

conseguir una perfecta reproducción del entorno intraoral y su conservación con el paso de los años.

Con la intención de evitar los problemas derivados de la toma de impresión convencional y conseguir la mayor exactitud posible, durante los años 70, coincidiendo con el desarrollo de la tecnología CADCAM (diseño asistido digitalmente y manufactura asistida digitalmente), se introduce por primera vez en la práctica dental la utilización del escáner intraoral.

La principal función del escáner intraoral es poder hacer una exacta toma de impresión generando un archivo digital inmediato que imite fielmente el entorno intraoral.

Los conceptos veracidad y precisión fueron introducidos para determinar la exactitud de los escáneres durante la toma de impresión.

De este modo, se determinó que la veracidad es la capacidad

DR. RAFAEL PIÑEIRO SANDE
Gaceta Dental · N o 357 | Mayo 2023 INFORME 138
Licenciado en Odontología por la Universidad de Santiago de Compostela. Líder de opinión Internacional de Ivoclar Vivadent. Key Opinion Leader de la Dental Zeiss Academy. Presidente fundador de la Asociación Gallega de Formación Odontológica. Práctica privada en Vigo dedicada a la microodontología.

del escáner para generar una reproducción fidedigna, mientras que la precisión haría referencia a la capacidad de que dicha reproducción pueda repetirse con los mismos resultados. Así pues, un buen escáner intraoral debe tener estas capacidades para ser utilizado con seguridad.

La documentación científica nos muestra que las principales ventajas del uso del escáner intraoral son: mayor confort del paciente durante la toma de impresión, ahorro de tiempo durante el procedimiento de toma de impresión, simplificación y reducción de tiempo del proceso de restauración indirecta, mayores capacidades diagnósticas, mejor comunicación con el laboratorio dental, mejor comunicación con el paciente y menores requerimientos de almacenaje al evitarse la necesidad de un modelo físico.

Entre las principales desventajas se reportan: mayor dificultad de detección de líneas marginales profundas preparadas en dientes naturales, la curva de aprendizaje y los gastos de inversión.

VERACIDAD Y PRECISIÓN

Con la intención de hacer una valoración objetiva de la exactitud de VivaScan, se confeccionó un modelo digital a partir de una arcada superior natural de un paciente. Se hizo la toma de impresión convencional al paciente y se vació el modelo con escayola. Posteriormente se escaneó el modelo con un escáner de sobremesa dental, obteniendo de este modo un modelo tridimensional en formato STL.

Con la ayuda de un software digital sobre el STL del modelo 3D se montaron cinco bloques poligonales a nivel de 16 (bloque 1), 13 (bloque

«La principal función del escáner intraoral es poder hacer una exacta toma de impresión generando un archivo digital inmediato que imite fielmente el entorno intraoral»
Shutterstock_YAKOBCHUK VIACHESLAV. Gaceta Dental · N o 357 | Mayo 2023 INFORME 139

2), 11-21 (bloque 3), 23 (bloque 4) y 26 (bloque 5) con el objetivo de poder hacer mediciones precisas a lo largo de la arcada. Este modelo STL modificado con los bloques poligonales fue impreso en resina con una impresora 3D con tecnología SLA/LCD (Figura 1).

El modelo impreso fue utilizado para realizar 12 escaneados con VivaScan. Seis de los escaneados fueron parciales, con el objetivo tan solo de incluir los bloques 1 y 2, por lo que estos escaneados se limitaron tan solo al primer cuadrante

del modelo impreso. Los otros seis escaneados se hicieron de la arcada completa, incluyendo los cinco bloques. La secuencia de escaneado comenzó por las superficies oclusales de 17 a 27 y, a continuación, las vestibulares de 27 a 17, terminando por las superficies palatinas de 17 a 27. Tras los escaneados se exportaron los archivos STL de todos los escaneados.

El modelo impreso fue medido de forma analógica para comparar con el archivo STL generado por ordenador con los bloques poligonales y valorar la veracidad de la impresión. La impresión consiguió ajustar la reproducción hasta en dos decimales de milímetro, por lo que se estableció como una reproducción veraz del STL generada por ordenador (Figura 2).

De este modo, dicho STL generado por ordenar se utilizó para comparar todas las mediciones relativas a la veracidad de los diferentes escaneados realizados sobre el modelo impreso con VivaScan, evitando, de este modo, el error humano de medición analógica. Con la ayuda del software digital de diseño

Figura 1. Modelo generado por ordenador con las mediciones de referencia y modelo impreso a partir del archivo digital. Figura 2. Mediciones analógicas del modelo impreso.
Gaceta Dental · N o 357 | Mayo 2023 INFORME 140
«Los conceptos veracidad y precisión fueron introducidos para determinar la exactitud de los escáneres durante la toma de impresión»

3D se hicieron las mediciones de los distintos archivos STL obtenidos de los escaneados con VivaScan, con el objetivo de compararlos entre sí y con el modelo generado digitalmente para, de este modo, comprobar la precisión y veracidad de los escaneados. Además, con ayuda del software de diseño 3D dental, se hizo la superposición del primer escaneado con VivaScan con los cinco siguientes, tanto de la hemiarcada como de la arcada completa, para comprobar la precisión volumétrica y poder obtener conclusiones adicionales sobre la precisión del escáner.

Las conclusiones fueron que, en todos los elementos evaluados, la precisión y veracidad de VivaScan resultó excelente.

En las mediciones del primer cuadrante se incluyó la distancia entre los bloques 1 y 2. La medición analógica del modelo físico fue de 19,35 mm. En el modelo generado digitalmente el dato fue de 19,3536 mm.

Los seis escaneados realizados con VivaScan consiguieron el dato se 19,35 mm. Comparando los datos del modelo generado digitalmente (con cuatro decimales de milímetro) con

los seis escaneados con VivaScan, se encontró una máxima diferencia de 0,0031 mm y una mínima de 0,0016 mm (Figura 3).

La diferencia máxima entre los seis escaneados realizados con VivaScan del primer cuadrante fue de 0,0014 mm y la mínima de 0,0000 mm.

En cuanto a la superposición volumétrica de toda la superficie de los seis escaneados se encontró como el valor de máxima diferencia por debajo de 0,05 mm (color amarillo) con una gran cantidad de superficie escaneada en 0,00 mm entre todos los escaneados (color azul) (Figura 4).

Las mediciones del escaneado de la arcada completa incluyeron distancias entre los bloques 1 y 2, 3 y 4, 2 y 4, 4 y 5. En todas las mediciones se encontraron puntos de coincidencia en todas las distancias de hasta dos decimales de milímetro con respeto a la medición física del modelo. Con respeto a la medición en relación al modelo generado por ordenador se encontraron, del mismo modo, coincidencias en todos los escaneados de hasta dos decimales de milímetro.

La máxima diferencia entre todas las distancias de todos los escaneados

Figura 3. Mediciones de los seis escaneados con VivaScan del primer cuadrante, entre los bloques 1 y 2.
142 Gaceta Dental · N o 357 | Mayo 2023 INFORME
Figura 4. Superposición volumétrica del primer escaneado con VivaScan con los cinco siguientes del primer cuadrante.

de arcada completa realizados con VivaScan fue de 0,0084 mm, observada entre los bloques 4 y 5, mientras que la diferencia mínima fue de 0,0000 mm observada entre los bloques 1 y 2 (Figura 5).

La superposición volumétrica mostró resultados de coincidencia con una valor máximo de conciencia entre los seis escaneados por debajo de los 0,08 mm de diferencia (color rojizo), observándose grandes superficies con valor entre 0,00 y 0,05 mm (color azul-verde) (Figura 6).

CASO CLÍNICO

Se trata de un paciente varón de 45 años edad que acude a la consulta demandando una solución estética

a los diastemas que presenta en la arcada superior (Figura 7).

Tras el diagnóstico se decide hacer un tratamiento ortodóncico por motivos restaurativos con el objetivo de repartir los espacios de forma coherente y poder, de este modo, restaurar al paciente con una rehabilitación de 15 a 25 con carillas cerámicas de una forma mínimamente invasiva (Figura 8). El material seleccionado en este caso fue el Empress CAD en color A1. Se seleccionó este material por su gran comportamiento estético en relación con el volumen que necesitábamos para las restauraciones.

Previa a la preparación dental y tras el tratamiento de ortodoncia

Figura 5. Mediciones de los seis escaneados con VivaScan de arcada completa. Figura 6. Superposición volumétrica del primer escaneado con VivaScan con los cinco siguientes de arcada completa. Figura 7. Sonrisa inicial del paciente.
143 Gaceta Dental · N o 357 | Mayo 2023 INFORME
Figura 8. Sonrisa tras el tratamiento de ortodoncia.

se confecciona un encerado, del cual se toma una llave de silicona transparente Transil F con la que se realiza el mock-up al paciente para validar la estética deseada y poder, así, tener una referencia a la hora de hacer la reducción de espacio durante el proceso de tallado. Tras validar el encerado como referencia se hace un escaneado del mismo para poder utilizar durante la preparación dental y en la fase de laboratorio (Figura 9). La preparación dental se hizo de la forma más conservadora posible, utilizando para ello el microscopio operatorio Zeiss Proergo.

En el margen gingival no se hizo línea de terminación para favorecer el trabajo de la toma de impresión con el escáner y, de este modo, favorecer un

ajuste óptimo de las restauraciones en este punto crítico para conseguir una correcta estética y salud gingival (Figura 10). El calibrado de la reducción se hizo de un modo convencional con llaves de silicona confeccionadas desde el encerado diagnóstico (Figura 11). Además, para comprobar las capacidades del escáner VivaScan se utilizó la herramienta de alineación para este mismo objetivo, superponiendo el tallado realizado con el encerado diagnóstico escaneado previamente. De este modo, pudimos comprobar de forma precisa y en todas las dimensiones la reducción volumétrica de nuestra preparación, y así, validar el espacio generado por la misma como óptimo para la confección de las restauraciones (Figura 12).

Figura 9. Escaneado con VivaScan del encerado diagnóstico. Figura 10. Impresión definitiva tras la preparación para carillas de 15 a 25. Figura 11. Detalle del tallado en el frente anterior y control de reducción con llave de silicona.
144 Gaceta Dental · N o 357 | Mayo 2023 INFORME
Figura 12. Superposición de las preparaciones dentales con el encerado diagnóstico para un control tridimensional del espacio de reducción durante la preparación.

Tras la impresión, comprobación de la reducción y toma de registros intermaxilares, se envió la información al laboratorio mediante la herramienta «enviar», tan solo con un click. Se confeccionaron unos provisionales al paciente con la llave de silicona utilizada para el mock-up, en este caso con composite fluido TetricEvo Flow A1 (Figura 13).

En el laboratorio se utilizó el software Exocad para la confección de las restauraciones cerámicas (Figura 14).

Las restauraciones fueron fresadas a volumen total con PrograMill PM7 y, posteriormente, maquilladas con Ivocolor. Se utilizó el escaneado del encerado para hacer

una duplicación de la anatomía que había sido validada en el proceso de diagnóstico con la confección del mock-up.

Tras la confección de las restauraciones, se hacen las pruebas de ajuste y try-in en boca del paciente para validar la correcta realización del trabajo de laboratorio. El cementado se llevó a cabo con Variolink Esthetic LC en color neutral, bajo aislamiento con OptraDam. El acondicionado cerámico se realizó con Monobond Etch&prime. Se citó al paciente a los quince días para hacer una valoración final de los resultados comparados con la situación inicial y dar el alta al paciente (Figuras 15-19). ●

Figura 13. Sonrisa del paciente con los provisionales. Figura 14. Detalle del software de laboratorio con el diseño de las restauraciones basado en el modelo tridimensional del encerado diagnóstico.
145 Gaceta Dental · N o 357 | Mayo 2023 INFORME
Figura 15. Sonrisa final del paciente.

Figuras 16 y 17. De izda. a dcha.; retrato del paciente en sonrisa previo al tratamiento; retrato del paciente en sonrisa tras el tratamiento.

Figuras 18 y 19. De izda. a dcha.; retrato en 3/4 del paciente previo al tratamiento; retrato en 3/4 del paciente tras el tratamiento.

ESCÁNER VIVASCAN, IMPRESIONES VERACES Y PRECISAS

Ivoclar nos presenta su nuevo escáner intraoral VivaScan como una herramienta de trabajo para aquellos profesionales que quieran iniciarse dentro del mundo digital, poniendo el énfasis en las ventajas de este tipo de tecnología y minimizando las desventajas. Con él se ha potenciado la facilidad de uso y la simplicidad de la interface digital para que tanto la toma de impresión como la comunicación con el laboratorio sean muy simples.

Como puede verse, en el presente artículo se ha pretendido mostrar las capacidades de VivaScan para hacer impresiones exactas: veraces y precisas, así como un ejemplo de los resultados clínicos que pueden conseguirse haciendo impresiones con esta sencilla herramienta de trabajo.

146 Gaceta Dental · N o 357 | Mayo 2023 INFORME
Solo los mejores tienen su reconocimiento 14 SEP 23 Madrid ¡Envía tu candidatura y elige el camino de la excelencia! 26 Edición ¡Consulta las bases! gacetadental.com/premios/categorias Impulsa: Organiza: Plazo de presentación: 20 de junio

Cambra Clinic

Con la tecnología como principal protagonista y dando especial importancia a la gestión y el marketing, Cambra Clinic nace, de la mano del Dr. Jordi Cambra, con un objetivo claro: proporcionar una experiencia única y personalizada a cada paciente. En la actualidad, su hijo, el Dr. Víctor Cambra, acompañado de un gran equipo de profesionales, comparte la misma filosofía: ofrecer la mayor calidad y el mejor trato para el cliente en un ambiente agradable y de tranquilidad.

Con más de 35 años de experiencia y un equipo humano formado por 40 profesionales del sector, Cambra Clinic, fundada por el Dr. Jordi Cambra, se ha posicionado como una clínica dental de referencia en Barcelona.

¿La clave del éxito? La capacidad de equilibrar diferentes factores para ofrecer un servicio de calidad excepcional a sus pacientes.

«Esto incluye la calidad de tratamiento, la calidad de las instalaciones y la tecnología que disponemos, un trato excelente y

un planteamiento honesto desde el primer segundo para que el paciente nos acompañe durante todo el proceso», destaca el Dr. Víctor Cambra, director médico de Cambra Clinic e hijo del fundador de la clínica, el Dr. Jordi Cambra.

Añade, además, «lo que nos diferencia es nuestra capacidad de entender las necesidades y deseos de cada paciente individualmente, y adaptarnos a ellos de manera personalizada a través de la digitalización 360 o en todas las fases de nuestro proceso de trabajo. Esto nos permite ofrecer un servicio aún

148
A la última Gaceta Dental · N o 357 | Mayo 2023 A LA ÚLTIMA. Cambra Clinic
149
Gaceta Dental · N o 357 | Mayo 2023 Cambra Clinic. A LA ÚLTIMA
De izda. a dcha.; el Dr. Víctor Cambra junto a su padre, el Dr. Jordi Cambra, fundador de Cambra Clinic.

dudas, un papel fundamental en dicha atención personalizada, ya que une todos los recursos de la Odontología digital ya existentes, de una manera muy concreta, para obtener un resultado de máxima precisión.

más excepcional y ayudar a cada paciente a alcanzar sus objetivos de salud bucodental de manera efectiva y eficiente. En resumen, en Cambra Clinic nos esforzamos por proporcionar una experiencia única y personalizada para cada uno de nuestros pacientes».

EL «MÉTODO CAMBRA», SEÑA DE IDENTIDAD DE LA

CLÍNICA

El «Método Cambra» juega, sin lugar a

«Esto ha sido gracias a diferentes ensayos de investigación, de prueba y error, hasta conseguir los resultados de máxima calidad deseados. Hemos conseguido crear un método en el que llevamos al paciente del punto inicial al punto final, en menos tiempo, con menos molestias y con una precisión y una estética que hasta ahora no habíamos alcanzado. El resultado es mejor y su experiencia también», detalla el Dr. Víctor Cambra. Precisamente, han aplicado a su método de trabajo la simulación virtual como herramienta para realizar las intervenciones de Estética dental. Gracias a registros en 2D y 3D de los dientes y de la cara del paciente, explica el Dr. Víctor Cambra, «podemos diseñar la sonrisa y mostrársela de manera instantánea en la pantalla del ordenador, antes de aplicar el

150
«En Cambra Clinic nos adaptamos a los pacientes de manera personalizada a través de la digitalización 360 o en todas las fases de nuestro proceso de trabajo», destaca el Dr. Víctor Cambra.
ACCEDE A CAMBRA CLINIC Gaceta Dental · N o 357 | Mayo 2023 A LA
«Gracias a la tecnología los tratamientos pueden realizarse en menos tiempo, pudiendo anticipar problemas que podrían aparecer en el futuro»
ÚLTIMA. Cambra Clinic

EXPADENT APP

Hemos mejorado nuestro sistema de gestión, y ahora cualquiera de nuestros clientes podrán realizar los pedidos directamente desde nuestra aplicación, intuitivamente.

También permite hacer un seguimiento total del proceso de fabricación y de envío del pedido realizado.

ENVÍANOS TUS IMPRESIONES DIGITALES: LÍDERES EN LA ELABORACIÓN DE PRÓTESIS DENTALES Corona de zirconio 59,90 € 49,90 € Antes Ahora  +34 910 059 139  info@expadent.com www.expadent.com *Las fotografías de este anuncio corresponden a trabajos realizados en nuestro laboratorio
DISPONIBLE
YA
AHORA QUE TODO SUBE, NOSOTROS BAJAMOS PRECIOS

tratamiento estético. Lo que sería un render muy ajustado del resultado final. De este modo, podemos ajustar cualquier detalle al gusto del paciente, antes de iniciar el tratamiento; siempre y cuando el dentista especializado vea oportuno dichos ajustes».

TECNOLOGÍA AL SERVICIO DEL PACIENTE

Así pues, la tecnología es un factor fundamental dentro de esta metodología y hacen uso de ella en las diferentes especialidades de la Odontología para proporcionar, en palabras del Dr. Víctor Cambra, «beneficios significativos en comparación con los métodos más tradicionales».

Entre estos beneficios se destaca la precisión en los tratamientos, lo que garantiza una mayor eficacia y un resultado final más satisfactorio para el paciente. Además, «gracias a la tecnología, los tratamientos pueden realizarse en menos tiempo, pudiendo anticipar problemas que podrían aparecer en el futuro», cuenta el Dr. Víctor Cambra.

«La tecnología también ofrece una mayor comodidad para el paciente, ya que muchos procedimientos pueden ser menos invasivos y dolorosos gracias a las técnicas y herramientas avanzadas. Asimismo, puede proporcionar resultados más estéticos en menos tiempo y, sobre todo, con un resultado que el paciente puede conocer de antemano y de un proceso del que él forma parte si lo solicita», apostilla.

Pero, ¿cómo ha sido el proceso de inmersión en la tecnología?

«Para nosotros, la aplicación de softwares 3D nos ha facilitado mucho dar un salto de calidad en el trabajo. Actualmente utilizamos las imágenes digitales tridimensionales

«LUNCH & LEARN»

La formación continua para los profesionales del sector odontológico es indispensable a la hora de reciclarse y actualizar sus conocimientos. Ejemplo de ello es que el Dr. Víctor Cambra ha creado su propio grupo de estudio junto a ocho compañeros para mantenerse al día de los últimos conocimientos, avances y proyectos de investigación.

«Se trata de una iniciativa en la que nos reunimos una vez por semana alrededor de una mesa para compartir y debatir. Lo hacemos a la hora de comer. Es una práctica habitual en EE. UU., que se llama «lunch & learn». En ocasiones se habla de pacientes específicos, otras de protocolos clínicos, y se actualizan conceptos para estar siempre todos alineados en qué y cómo se lo ofrecemos a nuestros pacientes», detalla el Dr. Víctor Cambra.

152
Gaceta Dental · N o 357 | Mayo 2023 A LA ÚLTIMA. Cambra Clinic
Como asegura el Dr. Víctor Cambra, «la aplicación de softwares 3D nos ha facilitado mucho dar un salto de calidad en el trabajo».

Máxima potencia de vapor

Gran poder de limpieza, presión de vapor constante

Durabilidad y fiabilidad

3 años de garantía, incluso para el elemento calefactor

Mantenimiento sencillo

Abertura de revisión extragrande para una fácil limpieza

otro
POWER steamer: rendimiento profesional con durabilidad incorporada De
mundo making work easy
renfert.com/power-steamer
no querrás otra
POWERsteamer...

en radiología y a través del escáner intraoral. Sumado a cámaras de fotos de alta definición muy específicas hemos alcanzado un nivel de imagen y precisión muy alto. A estas herramientas sumamos la aplicación de tecnología CAD-CAM para la fabricación de dientes. En ese sentido, disponemos de dos softwares, uno para el diseño CAD y otro para el fresado o impresión de dientes CAM», detalla el Dr. Víctor Cambra.

«La industria, de forma individual, va dando respuesta a distintas necesidades. Como consumidores vamos adquiriendo dicha tecnología. Sin embargo, a la hora de aplicarla no hay descrito un protocolo específico de cómo engranar todas las piezas. Nuestro objetivo es el de agilizar los procesos lo máximo posible consiguiendo la máxima precisión», manifiesta el director médico de Cambra Clinic.

De hecho, para familiarizarse con el uso de estas nuevas herramientas y dominarlas, en Cambra Clinic no han recibido ninguna formación específica, sino que ha sido «a base de prueba y error. Como earlyadopters que fuimos, nuestras necesidades del día iban por delante de lo que los comerciales del momento podían ofrecernos», manifiesta el Dr. Víctor Cambra.

Además, durante un periodo de tiempo determinado trabajaron de forma híbrida, aplicando el modelo tradicional a medida que se adaptaban a los procesos digitales. «No nos podíamos permitir que el trabajo no saliera, por lo que lo hacíamos todo doble y escogíamos el que fuera de mejor calidad para entregárselo al paciente», comenta. Pacientes que, además, valoran la importancia de la aparatología. «Les sorprende, les gusta y cuando

154
Gaceta Dental · N o 357 | Mayo 2023
El «Método Cambra» une todos los recursos de la Odontología digital ya existentes, de una manera muy concreta, para obtener un resultado de máxima precisión. A LA ÚLTIMA. Cambra Clinic

lo comparan con sus experiencias previas en el dentista, se sorprenden de la mejora cualitativa en su experiencia», cuenta el director médico de Cambra Clinic.

GESTIÓN, COMUNICACIÓN Y MARKETING

Al igual que la tecnología juega un papel clave dentro de una clínica dental, también lo hace la gestión, un aspecto muy cuidado en Cambra Clinic. «Es fundamental la buena gestión de la agenda, teniendo claros los tiempos e intentando coordinar los tratamientos, de tal forma que el paciente deba venir el menor número de veces. Para nosotros, ese es uno de nuestros objetivos más claros: ser eficaces y precisos. En este sentido, creemos que los tres pilares fundamentales de una buena gestión son: una adecuada gestión de la agenda, un buen control de gastos y una efectiva gestión de los recursos humanos», relata el Dr. Víctor Cambra.

Por otro lado, la comunicación y el marketing son, a su vez, dos parcelas fundamentales en Cambra Clinic porque «es la forma que tenemos de llegar a nuestros pacientes. Desde la clínica, trabajamos para dar a conocer soluciones que la mayoría desconoce que existen. Internet se ha convertido en el canal que una gran mayoría utiliza para informarse y para elegir a los profesionales que les traten», concluye el Dr. Víctor Cambra. ●

CAMBRA CLINIC

¿Dónde está?

Calle de Ganduxer, 122, Barcelona, 08022

¿Quieres saber más?

https://www.cambraclinic.com/

156
Gaceta Dental · N o 357 | Mayo 2023 A
«Es fundamental la buena gestión de la agenda, teniendo claros los tiempos e intentando coordinar los tratamientos, de tal forma que el paciente deba venir el menor número de veces», añade el Dr. Víctor Cambra.
LA ÚLTIMA. Cambra Clinic

Un experto se desplazará a tu clínica donde te enseñará el funcionamiento del Escáner Cameo Elegant 3

Podréis utilizarlo sobre un caso real, donde podrás comprobar si realmente es una buena solución y cuánto valor puede aportarte tanto a tu clínica como a tus pacientes.

Te mostraremos cómo enviar toda la información a tu laboratorio.

10.900 € O DESDE

230€ / MES*

*Simulación de renting a 60 meses. Operación sujeta a aprobación financiera. IVA no incluido. Oferta válida hasta el 31/05/2023.

CAMEO ELEGANT 3 ¡Y NO PAGUES HASTA SEPTIEMBRE! Y si no te gusta...¡no pasa nada! todocadcam.com
EXCUSA! PIDE GRATIS TU DEMO DE NUESTRO ESCÁNER INTRAORAL SONIA ROMERO: 646 598 871 Excepcional, inteligente y elegante
¡YA NO HAY

Quiero digitalizar mi clínica dental: ¿por dónde empiezo?

Transformación digital (I)

Si te haces esa pregunta es que estás considerando que la tecnología digital es ya una parte de nuestra realidad profesional y quieres formar parte de ella. Seguramente le has dado muchas vueltas y te asaltan dudas sobre lo que realmente necesitas, qué inversión supone y si merecerá la pena. No hay una respuesta clara, ya que cada uno tiene unas necesidades particulares y una línea de trabajo definida, ya sea Odontología general, Ortodoncia, Restauradora, Prótesis, Implantología o todas ellas. Trataremos de arrojar un poco de luz para que sirva de guion a la hora de empezar la transformación digital.

Shutterstock/Pixel-Shot. Gaceta Dental · N o 357 | Mayo 2023 TENDENCIAS. El rincón digital 158

La transformación digital hace referencia al empleo de tecnologías para mejorar y optimizar los procesos de diagnóstico, planificación y diseño de tratamientos dentales, entre otros, así como la utilización de recursos de hardware como los escáneres intraorales, impresoras 3D, fresadoras, etc. Todo ello nos lleva a la inevitable necesidad de invertir tiempo y recursos económicos en nuestros centros de trabajo para llevarla a cabo, por lo que debemos establecer un detallado plan de acción basado en las necesidades reales de cada uno y no en la presión del mercado, que evoluciona a una velocidad de vértigo.

Por lo tanto, la pregunta clave es: ¿debemos invertir?

La respuesta es sencilla: debemos hacerlo. Todo el proceso de

transformación dental digital revierte en tratamientos más precisos, cómodos y rápidos para el paciente que los métodos tradicionales, pero para ello debemos estar preparados a nivel de recursos y de formación y asegurarnos de la calidad de los procedimientos que llevamos a cabo, así como la base científica de los mismos. No se trata simplemente de utilizar la tecnología porque todo el mundo lo hace, ya que no todos los dispositivos son iguales ni funcionan de la misma manera y es nuestra responsabilidad saber de qué herramientas disponemos y qué nos permiten hacer basándonos en la evidencia científica. No olvidemos que somos profesionales de la salud bucodental y que nuestros tratamientos deben mejorar la calidad de vida de nuestros pacientes, pero también ser perdurables en el tiempo.

Máster

Tendencias
DR. GIULIANO FRAGOLA Director médico de Estudio Dental Majadahonda. Licenciado en Odontología, Universidad Complutense de Madrid. en implantología, Periodoncia y Rehabilitación Oral, New York University. Senior fellow y speaker ITI (International Team for Implantology). Anthogyr international speaker. CEO IDE Immersive dental experiences.
Gaceta Dental · N o 357 | Mayo 2023 El rincón digital. TENDENCIAS 159
«Digitalizar una clínica dental puede ser un proceso desafiante, pero, con un buen plan y una implementación adecuada, puede mejorar la eficiencia y la calidad del servicio que brinda»

Digitalizar una clínica dental puede ser un proceso desafiante, pero con un buen plan y una implementación adecuada, puede mejorar significativamente la eficiencia y la calidad del servicio que brinda. Aquí una serie de puntos que puedes analizar antes de iniciar este camino de la digitalización:

1. Evalúa tus necesidades específicas

¿Qué procesos te gustaría mejorar?

¿Qué áreas necesitan más atención? Debes hablar con tu equipo y llevar a cabo una evaluación detallada para determinar dónde puedes utilizar tecnología para mejorar tu clínica y tu práctica diaria para ganar eficiencia y, por ello, productividad y calidad de servicio.

2. Elige un software de gestión clínica

Este software es una herramienta

fundamental en el proceso de digitalización, ya que ayuda al correcto funcionamiento del día a día de una manera inimaginable una vez que ha sido implementado. Aunque al principio suponga un quebradero de cabeza aprender todos sus «entresijos», con el tiempo nos hará la vida mucho más fácil a nosotros y a todo nuestro equipo. Debes analizar el mercado y decantarte por uno que ofrezca soluciones y funcionalidades como citas en línea, registro de pacientes, gestión de facturas, almacenamiento de registros electrónicos de salud, comunicación a través de diferentes canales como e-mail, mensajería y otros. Es muy importante considerar sistemas que permitan ejecutarse y almacenar datos en la nube, de manera que puedas acceder a ellos desde cualquier terminal, ordenador o dispositivo portátil y que garanticen el correcto almacenamiento de

Gaceta Dental · N o 357 | Mayo 2023 TENDENCIAS. El
digital 160
«Tómate un momento de reflexión y analiza tu plan de digitalización previamente establecido para determinar qué elementos vas a ir incorporando a corto y medio plazo», aconseja el Dr. Fragola. Imagen: cedida por el Dr. Fragola.
rincón

Descubre nuestra completa gama de soluciones:

• Estructuras en metal fresado (CrCo ó TI)

• Sintex® (sinterizado mecanizado)

• Zirconio, Disilicato de Litio, PMMA, etc.

ESPECIALISTAS EN ALTA PRECISIÓN Y AJUSTE PERFECTO

Estructuras dentales diseñadas y fabricadas con los máximos criterios de calidad por un equipo experto, siempre a su servicio.

bioinnovaciondental.com

Polígono Mutilva, Calle V, Nave 24 31192 Mutilva • Navarra • +34 948 277 430

los datos para evitar situaciones catastróficas de pérdida irreversible de datos. El funcionamiento desde la nube te permitirá, además, ahorrar algunos euros, eliminando la constante necesidad de sustituir tus ordenadores, que se convierten simplemente en terminales de ejecución de un programa que funciona en remoto. No debemos olvidar que deben garantizar la protección de datos de los pacientes, tal y como exige la actual ley de protección de datos. Te sugiero que consultes con la empresa encargada de la protección los datos de tu clínica para asegurarte que el software que deseas adquirir cumple estos requisitos, ya que volver atrás una vez instalados es una auténtica pesadilla.

3. Considera la adquisición de sistemas radiológicos digitales tanto intra como extraorales Las imágenes dentales digitales ofrecen una mayor precisión y eficiencia que las imágenes

tradicionales. Este tipo de tecnología ofrece imágenes de muy alta calidad con una dosis de radiación muy baja y, con la ayuda de los diferentes softwares asociados, así como los sistemas de Inteligencia Artificial, podemos obtener información realmente relevante para nuestros planes de tratamiento, no solo a nivel diagnóstico, sino de control evolutivo y algunos de nuestros tratamientos. En función de nuestra actividad, un sistema de radiología extraoral se hace cada vez más necesario. Los dispositivos CBCT son cada día más asequibles y ofrecen un enorme rango de campos de visión (FOV-Field Of View). Determinar nuestro rango de actividad será fundamental a la hora de elegir cuál se ajusta mejor a nuestras necesidades, ya que son máquinas que difícilmente pueden actualizarse y deben ser sustituidas por otras cuando esto ocurre. A veces, un pequeño esfuerzo inicial para disponer de un campo de visión mayor evita disgustos a largo plazo. No olvidar que hay que cumplir

162 Gaceta Dental · N o 357 | Mayo 2023
Para el Dr. Fragola, «es nuestra responsabilidad capacitar a nuestro personal en el manejo de la tecnología de la que disponemos en la clínica». Imagen: cedida por el Dr. Fragola. TENDENCIAS. El rincón digital

una normativa clara y bien definida: asesorarse antes de adquirir este tipo de dispositivos por si fuese necesario hacer algún tipo de cambio o modificación en nuestra clínica para poder alojar estas máquinas.

4. Considera la actualización de tus equipos informáticos para asegurarte de que estás actualizado con la última tecnología Si vas a empelar diversos dispositivos en clínica como sistemas de escaneado intraoral, radiología digital, diseño, etc.; será necesario que actualices tus equipos informáticos: más disco duro, más memoria RAM, más procesador… «Una auténtica pesadilla para nuestros bolsillos», pero una realidad cotidiana que se vuelve contra nosotros si no disponemos de un servicio de asesoría o conocimientos necesarios para no equivocarnos.

Tómate un momento de reflexión y analiza tu plan de digitalización previamente establecido para determinar qué elementos vas a ir incorporando a corto y medio plazo y qué posibilidades de expansión te permiten los ordenadores de que dispones o que puedas adquirir. Los equipos actualizados pueden mejorar la eficiencia y la calidad del servicio que brinda del mismo modo que los obsoletos hacen imposible un trabajo de calidad y suponen un auténtico quebradero de cabeza en nuestro día a día.

5. Capacitar a nuestro equipo profesional en el manejo de nuevas tecnologías

Debemos trabajar en equipo y, por ello, es nuestra responsabilidad capacitar a nuestro personal en el manejo de la tecnología de la que disponemos en la clínica. La

Gaceta Dental · N o 357 | Mayo 2023 TENDENCIAS. El rincón digital 164
«Trabajamos con registros electrónicos de salud y otra información confidencial del paciente, siendo muy importante establecer políticas de seguridad sólidas», cuenta el Dr. Fragola. Imagen: cedida por el Dr. Fragola.

tecnología puede ser difícil de usar si no se tiene la formación adecuada.

Hoy en día somos capaces de manejar dispositivos móviles para subir y compartir fotos y vídeos a redes sociales; programas para grabar vídeos y editarlos; y un sinfín de Apps diseñadas para manejarse con un simple deslizar de nuestros dedos y que no requieren apenas tiempo de aprendizaje, ya que están construidas para ser intuitivas, atractivas y fáciles de usar. Sin embargo, la realidad en los programas para la actividad clínica es completamente diferente.

Manejar estos programas requiere conocimiento, tiempo y dedicación, ya que no debemos olvidar que se han diseñado para ofrecer multitud de opciones con la finalidad de ampliar el abanico de opciones terapéuticas y así poder optimizar la calidad de nuestros tratamientos en beneficio de nuestros pacientes.

Existe una multitud de tutoriales en Internet que nos ayudarán, así como en los propios programas que adquirimos. Debemos tomarnos nuestro tiempo para aprender y compartir con nuestro equipo estos conocimientos para que su manejo se convierta en intuitivo, pero sin olvidar que cada caso es «un paciente», un individuo singular que merece toda nuestra atención y profesionalidad.

6. Establecer políticas de seguridad

Trabajamos con registros electrónicos de salud y otra información confidencial del paciente, siendo muy importante establecer políticas de seguridad sólidas. Asegúrate de que tu clínica tenga las medidas de seguridad adecuadas para proteger la información del

paciente y sopesa la posibilidad de contratar empresas especialistas del sector para ayudarte a establecer todos los protocolos y documentos de seguridad necesarios en base a las características de tus dispositivos, sistemas informáticos y programas que utilizas, recogiendo todos estos datos en un documento de seguridad obligatorio para ejercer la actividad profesional.

Debemos ser conscientes que la transformación digital ha de ser un proceso gradual con el foco puesto en la idea de optimizar nuestros recursos y la finalidad de ofrecer mejores tratamientos a nuestros pacientes. No hay que pretender realizar el cambio de golpe, aun siendo posible afrontar esa inversión; es mejor ir poco a poco, sentando las bases de los cambios que se introducen de manera que nos familiaricemos con la tecnología que adquirimos para exprimir todo su potencial y ponerlo a nuestro servicio y no al revés.

En la próxima publicación afrontaremos la segunda parte del proceso de información digital: «El hardware. ¿Qué dispositivos necesito?». ●

Gaceta Dental · N o 357 | Mayo 2023 El rincón digital. TENDENCIAS 165
«Todo el proceso de transformación dental digital revierte en tratamientos más precisos, cómodos y rápidos para el paciente»

Tendencias IA, el nuevo impacto tecnológico en el sector odontológico

JUAN M. MOLINA

CEO de Talentua, empresa de consultoría y soluciones para la Tecnología Sanitaria. Cuenta con 25 años de experiencia en el sector de las TIC’s y Comunicaciones; así como con 17 años de experiencia en el sector odontológico y médico. Presidente durante 6 años del sector dental de Fenin. Entre sus varias titulaciones cuenta con «Transformación del Sistema Sanitario 4.0», por Harvard Medical University; «IA aplicada a la estrategia de la salud», por MIT Boston, y «Digital Mindset», por el IESE.

Desde este artículo, con el que inauguramos esta nueva sección, «Tecnología e innovación», queremos ofrecer una mejor visión de las diferentes tecnologías que están actualmente impactando, muy rápido, en el sector dental.

Hace ya muchos años que la tecnología ha estado disponible para los dentistas y protésicos, aunque su penetración en la clínica ha sido más lenta de lo deseado para todos los que nos dedicamos a la tecnología sanitaria.

Más allá de posibles soluciones, queremos poner en contexto la realidad actual y la continua apuesta de la Odontología por la tecnología en la Odontología y el uso de la inteligencia artificial, de la que todo el mundo habla.

Se han cumplido más de 30 años, desde la aparición de los primeros sistemas chairside y Lab o los primeros rayos X en Odontología. Poco a poco, el uso de tecnología ha ido entrando en las clínicas y laboratorios gracias a la continua apuesta por la innovación de los principales fabricantes del sector, con nuevos productos y materiales,

para ofrecer la mejor atención al paciente.

Hoy en día, hacer un tratamiento de Ortodoncia, colocar implantes o poder tener un prediagnóstico del estado bucal del paciente no es posible sin usar tecnología de última generación. Así, IOS, CBT, 3D, IA, etc., son siglas y acrónimos de nuestro vocabulario cuando hablamos de un tratamiento odontológico o la comunicación clínicoprotésico.

IMPACTO TECNOLÓGICO

Cuando hablamos de tecnología en la clínica debemos de tener presente cuatro puntos de impacto en nuestra operativa diaria:

1. Instalar y usar tecnología implica cambiar algunos procesos internos.

2. El equipo debe estar en proceso de formación continuada para reducir la curva de aprendizaje.

3. La tecnología reduce el tiempo, ofrece mejor calidad del tratamiento y mejora la comunicación con el paciente.

4. Es muy importante invertir en tecnología de forma segura, teniendo muy presente que se debe integrar con toda nuestra infraestructura informática, empezando por el

Gaceta Dental · N o 357 | Mayo 2023 TENDENCIAS. Tecnología e Innovación 166

software de gestión. Algo que parece tan básico, no se suele tener en cuenta en el momento de la compra.

Ahora bien, vayamos a la realidad del uso de la tecnología. Actualmente las tres áreas de mayor desarrollo son:

1. Cámaras Intraorales

Hoy en día, casi el 30-35% de las clínicas tiene un sistema IOS.

2. 3D Imaging & Printing

Quizás, en imágenes 3D está ya más consolidada la solución tecnológica, y solo habría que mejorar el software y potenciar la posibilidad de ampliar la sección, junto con el uso de integración en el cloud o nube, y/o su tratamiento, gracias a algunas aplicaciones de IA, de las que hablaremos más adelante.

Actualmente, en este mercado, que parece estar creciendo de forma muy rápida, debemos ir con cuidado, ya que no valen todas las impresoras que puedan encontrarse, sobre todo, si tenemos presente que están consideradas medical devices y, por tanto, están sujetas a regulación, tanto el sistema como las resinas que se utilizan en la impresión 3D.

3. Inteligencia Artificial Aplicada

Ha sido la última en llegar a nuestras vidas, aunque lo ha hecho a una velocidad sin precedentes.

Si hacemos un poco de historia, de la mano de Alan Turing, el concepto empezó a estar en boca de muchos y su uso en manos de pocos. Varios años más tarde, la realidad es que ya no podemos vivir sin tener dispositivos conectados con el mundo digital y su potencial en un futuro cercano: el metaverso.

Sin embargo, cuando hablamos de IA, como acrónimo, nos olvidamos

En Odontología será importante el uso de la inteligencia artificial para que los pacientes puedan tener más calidad de información. Shutterstock/Adisak Riwkratok.
Gaceta Dental · N o 357 | Mayo 2023 Tecnología e Innovación. TENDENCIAS 167
«Ya no podemos vivir sin tener dispositivos conectados con el mundo digital y su potencial en un futuro cercano: el metaverso»

de que esto solo es el concepto. Bajo esas siglas hay mucho más como son: machine learning, deep learning, visual learning... Conceptos muy interesantes que se pueden analizar desde el enfoque dado por Stuart Rusell y Peter Norving en su libro «Artificial Intelligence: A modern Approach»

En dicho libro hacían un análisis de la IA desde cuatro perspectivas, en función del enfoque humano o el enfoque ideal racional.

Podemos determinar que la IA nos va ayudar mucho en el sector médicosanitario y en el odontológico para mejorar la precisión y velocidad de los diagnósticos y tratamientos, y, probablemente, en poder detectar enfermedades antes de que aparezcan, facilitando la atención clínica al paciente y a los profesionales.

En este sentido, estamos en un momento crucial donde el uso de IA para apoyar el diagnóstico y análisis de imágenes o mejorar la toma de decisiones en la gestión, así como la asesoría tecnológica son muy relevantes.

La tecnología informática sanitaria e IA se van a quedar muchos años con

nosotros y, por tanto, debemos pensar en el equipo que nos va a acompañar en este viaje, ya que las necesidades cambiarán tanto, que desde la OMS se ha publicado un primer informe mundial sobre IA Aplicada a la salud, donde, entre otros, se han definido los seis principios para garantizar que la IA se utilice en aras del interés público en todos los países.

En Odontología será importante su uso para que los pacientes puedan tener más calidad de información y, por tanto, comprendan mejor sus necesidades y las explicaciones de los profesionales. Asimismo, los profesionales trabajarán mejor por la mayor y mejor calidad de información sobre las posibles patologías y sus tratamientos.

Servicio técnico y soluciones

de valor añadido Como punto final, me gustaría recalcar algo que olvidamos y que llevo más de diez años recordando a todo el sector en lo referente al valor añadido.

Conforme la tecnología entra en nuestra vidas, cada día ésta se hace más imprescindible y, por tanto,

Gaceta Dental · N o 357 | Mayo 2023 TENDENCIAS. Tecnología e Innovación 168
La tecnología informática sanitaria es una gran aliada para profesionales y pacientes. Shutterstock/ ProximaStudio.

debemos tener un servicio que garantice su funcionamiento, así como preveer la obsolescencia tecnológica, en hardware o software.

El servicio técnico necesita de un cambio de modelo y de aportación de valor añadido que los proveedores ofrecen a las clínicas, hospitales o laboratorios. Con la entrada de la tecnología debemos tener socios fiables que garanticen el funcionamiento de nuestros sistemas

tecnológicos, no solo desde su operativa básica, sino también desde su integración con otros dispositivos y los servicios de uso en la clínica, como son el tener información en la nube, las aplicaciones SaaS o el almacenamiento masivo de imágenes, donde la ciberseguridad es clave y donde debemos pensar en modelos sostenibles y prácticos para nuestras infraestructuras tecnológicas.

Por ello, es vital disponer de un socio tecnológico especializado en tecnología sanitaria e infraestructura informática, que garantice la calidad del servicio y su trazabilidad.

En este punto, debemos comprender que la tecnología está para ayudar a las personas, y no al contrario. Convivir para humanizar la tecnología es el camino para mejorar la vida del paciente ●

¿Qué es Talentua?

Es una empresa que ofrece consultoría y la puesta en marcha de servicios y soluciones que garanticen que la tecnología esté a disposición del profesional y del paciente.

«El servicio técnico que ofrecen los proveedores necesita un cambio de modelo»
Tecnología e Innovación. TENDENCIAS
Imagen corporativa: ¿cómo transmito la personalidad de mi clínica? Shutterstock/Redpixel.pl. Tendencias TENDENCIAS. Marketing digital Gaceta Dental · N o 357 | Mayo 2023 170

Causar buena impresión, además de ser un arte, es un aspecto fundamental en los negocios. Es tan importante ese minúsculo instante en el que decidimos si queremos que alguien pase a formar parte de nuestra vida, que los japoneses tienen una expresión para nombrarlo: Koi no Yokan

Al igual que con las personas, con los negocios pasa exactamente lo mismo. La identidad corporativa de una marca es la forma en la que el público percibe dicha marca. Es clave cuidar esta imagen por dos cuestiones muy importantes: para transmitir correctamente nuestros valores a los pacientes y para diferenciarnos del resto de competidores.

Por el contrario, la falta de un estilo definido, descuidado o inconsistente, genera en nuestros pacientes una sensación de desconfianza y de poca profesionalidad. Por ello, vamos a explicarte brevemente por qué tener una identidad corporativa estructurada y coherente es tan

importante para tu clínica dental.

PASOS PARA DEFINIR LA IMAGEN CORPORATIVA DE TU NEGOCIO

1. Define un logotipo memorable y distintivo Si te nombramos una cadena de comida rápida, ¿cuál es la primera imagen que se viene a tu mente? ¿Y si te mencionamos una marca de ropa deportiva? ¿O una empresa de coches de alta gama? El papel que desempeña un logotipo en la mente de un cliente es crucial para diferenciarse de la competencia.

Por ello, el logotipo es el elemento gráfico más complejo de diseñar, ya que las formas y los colores utilizados deben ser únicos, habitualmente sencillos, y estar en consonancia con tu clínica. En este sentido, una clínica dental especializada en Odontopediatría debería emplear colores y motivos vivos y cercanos que estén en línea con sus tratamientos. En cambio, la utilización de tonos neutros y desaturados transmitirán una imagen de seriedad y lujo. Estas sensaciones están relacionadas con la psicología del color.

Marketing digital. TENDENCIAS 171 LÍDERES
DENTAL
rIL Estudio Agencia de marketing 360º redes sociales posicionamiento marketing web diseño fotografía vídeo info@ril.es 876 28 25 32 www.ril.es
JAVIER RIOJA Director de rIL Estudio 360 (Estudio de creatividad global).
EN EL SECTOR
ONLINE

¿Le confiarías tu salud a una persona sin formación médica?

No, ¿verdad? Entonces, ¿por qué confiarle la identidad corporativa a alguien sin formación ni experiencia? Si quieres transmitir una imagen profesional, nadie mejor que un equipo de expertos en diseño gráfico para que planifique y ejecute tu imagen corporativa.

2. Cuida la coherencia visual de tu página web Pongamos que tu logotipo emplea tonos verdes. Entonces, lo correcto

sería utilizar la misma gama a la hora de diseñar tu página web. Esto se llama coherencia visual.

Además, un exceso de elementos gráficos escogidos al azar romperá tu imagen, saturará al paciente y hará que no quiera navegar por tu página.

3. Apuesta por tu imagen también en formato físico

La coherencia visual debe estar presente tanto en tu página online como en tus artículos físicos. Para redondear tu imagen corporativa, deberías contar con tarjetas de visita, artículos de papelería, rótulos o vinilos publicitarios, dípticos informativos y folletos de contacto en la misma línea.

Lo más óptimo es que el profesional que haya diseñado el logotipo trabaje también este tipo de productos. Además, ten en cuenta que tu logo deberá aparecer en lugares que muchas veces pasan desapercibidos para los negocios, como la firma de tus correos o los colores del interior de tu clínica.

En psicología, la repetición de dichos elementos visuales es conocido como el efecto de mera exposición. Así, el paciente asimila y se familiariza inconscientemente con tu identidad corporativa, permitiéndole relacionarla con una experiencia positiva y cercana.

En definitiva, transmitir una imagen corporativa apropiada en todos los aspectos de tu clínica hace que el paciente la diferencie y forme un vínculo de familiaridad con ella. Al igual que tus pacientes confían en la profesionalidad de tu equipo, no hay nadie mejor que un estudio especializado en diseño gráfico y marketing digital para diseñar la imagen corporativa de tu clínica dental. ●

Lo correcto es utilizar la misma gama de color del logotipo a la hora de diseñar tu página web. Imagen: Shutterstock/Rawpixel.com
TENDENCIAS. Marketing digital Gaceta Dental · N o 357 | Mayo 2023 172
«Transmitir una imagen corporativa apropiada en todos los aspectos de tu clínica hace que el paciente forme un vínculo de familiaridad con ella»

Expertos en la prevención de caries

RECOMENDADA MARCA n°1

POR DENTISTAS E HIGIENISTAS PARA LAS CARIES*

Fórmulas únicas

Bi-Fluoradas DobleAcción

Previen e las caries

Proteg e el esmalte

*Estudio IQVIA de seguimiento de dentistas e higienistas en España (Noviembre, 2022). Ver instrucciones de uso en el envase.

PETICIÓN DEL CONSEJO GENERAL DE DENTISTAS

Los dentistas solicitan la categoría profesional «A Plus»

donde actualmente se encuadran médicos y dentistas. El Dr. Castro considera «pertinente y necesario» que los licenciados/graduados en Odontología pasen del grupo A1 al «A Plus», en el caso de que se crease, por las siguientes razones:

-Formación más amplia: el Grado de Odontología consta de 300 créditos ECTS, frente a los 240 créditos de Enfermería, Fisioterapia y otras antiguas diplomaturas sanitarias.

-La titulación universitaria de Licenciado en Odontología se corresponde con el nivel 3 del MECES (nivel de máster).

-Las competencias, atribuciones, funciones y responsabilidades tanto de los médicos como de los odontólogos son muy diferentes a las de los profesionales sanitarios citados anteriormente, además de la exigencia en su desarrollo profesional continuo.

El presidente del Consejo General de Dentistas, el Dr. Óscar Castro Reino, ha solicitado al Ministerio de Sanidad la creación de un nuevo grupo de categoría profesional, denominado «A Plus», donde estarían incluidos los dentistas. Una petición que también ha realizado el Consejo General de Médicos para su colectivo profesional.

Esto se debe a la reorganización de las titulaciones y el reconocimiento de grado de aquellas que fueron diplomaturas, como Enfermería o Fisioterapia, y que han iniciado acciones para pasar del grupo A2 a A1, que es

-Por otro lado, la profesión de dentista engloba las titulaciones de médico especialista en Estomatología y Odontología, de acuerdo con lo contemplado en la Ley 44/2003, de 21 de noviembre, de ordenación de las profesiones sanitarias (artículo 6.2.c).

-Ambas titulaciones tienen idénticas funciones estipuladas en la Ley 10/1986, de 17 de marzo, sobre odontólogos y otros profesionales relacionados con la salud bucodental y el Real Decreto 1594/1994, de 15 de julio, por el que se desarrolla lo previsto en la Ley 10/1986, que regula la profesión de odontólogo, protésico e higienista dental.

«Si nuestra solicitud se lleva a efecto sería de gran importancia para la Odontología, pues supondría un reconocimiento con importantes implicaciones laborales en el ámbito público del desarrollo profesional de los dentistas», zanja el Dr. Castro. ●

174 Gaceta Dental · N o 357 | Mayo 2023 NOTICIAS DE ACTUALIDAD
Las competencias, atribuciones, funciones y responsabilidades tanto de los médicos como de los odontólogos son muy diferentes a las de los profesionales sanitarios de Enfermería y Fisioterapia. Imagen: DomFou. Unsplash.
DROIDENT TOP LABORATORIO DENTAL WORKFLOW DIGITAL CORONA SOBRE IMPLANTE ZIRCONIO MONOLÍTICO CORONA SOBRE DIENTE ZIRCONIO MONOLÍTICO FERULA DE DESCARGA FRESADA C/ PERÚ, 3 19005 GUADALAJARA Telf: 949 89 44 78 www.laboratoriodroident.com 63 € 53 € 65 € PRÓTESIS + TECNOLOGÍA + DISEÑO Puedes enviarnos tus archivos STL Para cualquier consulta, te lo ponemos fácil Escríbenos 636 69 16 13 @laboratoriodroident

ENCUENTRO

ENTRE DIFERENTES SOCIEDADES CIENTÍFICAS

SEPA organiza la II Jornada de Salud Bucal y Cesación Tabáquica

La colaboración de los profesionales sanitarios más directamente implicados en la prevención y el abordaje del tabaquismo, atendiendo necesidades y sugerencias de los pacientes, es fundamental para conseguir reducir el impacto de este problema de salud. Así se puso de relieve en la II Jornada de Salud Bucal y Cesación Tabáquica, promovida por la Sociedad Española de Periodoncia (SEPA) y celebrada en la Casa de las Encías.

El encuentro reunió a expertos de diferentes sociedades científicas odontológicas y

farmacéuticas, instituciones sanitarias, así como de asociaciones de pacientes. Este carácter interdisciplinar sirvió para avanzar en el debate de ideas, compartir reflexiones y experiencias, y consensuar una serie de consejos prácticos, con el foco puesto principalmente en el papel que puede desempeñar en este ámbito la consulta dental, al poner en valor su papel «como centro de promoción de la salud y prevención de la enfermedad periodontal y sistémica», en palabras de la Dra. Regina Izquierdo, coordinadora del Grupo de Trabajo SEPA-Comité Nacional para la Prevención del Tabaquismo (CNPT).

En este contexto, destaca la iniciativa Promosalud de SEPA (un programa para facilitar la detección precoz en la consulta dental de la hipertensión y diabetes oculta) en el que se incluyen también los consejos necesarios que pueden aportarse desde la consulta dental para controlar factores de riesgo implicados, como es el tabaco. Para la Dra. Izquierdo, «no cabe duda del potencial que tiene la consulta dental para promover hábitos de vida saludables. Tenemos una posición de privilegio para facilitar la cesación desde un enfoque individual y positivo y convencer al paciente que no inicie este hábito o que, en caso de ser fumador, lo abandone, siendo ésta la decisión más saludable que puede tomar en su vida». ●

MÁS NOTICIAS EN LA WEB DE GACETA DENTAL

176 Gaceta Dental · N o 357 | Mayo 2023 NOTICIAS DE ACTUALIDAD
Foto de familia de los participantes en la II Jornada de Salud Bucal y Cesación Tabáquica promovida por SEPA. Imagen: cedida por SEPA.

LA SELO, SOCIEDAD INVITADA

SECIB celebra en Formigal su V Reunión de Invierno

directa entre cursillistas y docentes. El primer taller, que giró en torno a las aplicaciones del láser en Cirugía Bucal, fue impartido por el Dr. Haitham Elafifi Ebeid, quien repasó los conceptos básicos y expuso los diferentes tipos de láser disponibles, así como sus ventajas y las indicaciones de cada uno de ellos según el procedimiento quirúrgico al que haya que enfrentarse.

La Sociedad Española de Cirugía Bucal (SECIB) celebró su V Reunión de Invierno en Formigal con la Sociedad Española de Láser y Fototerapia en Odontología (SELO) como sociedad invitada.

Por primera vez en una Reunión de Invierno de SECIB, la parte científica se desarrolló en formato taller teórico-práctico, lo que aportó un mayor dinamismo y una interacción más

Para terminar, animó a los asistentes a usar el láser de diodo por la importancia de la fotoestimulación en la práctica clínica diaria y por el amplio abanico de tratamientos en los que puede ser utilizado.

Por su parte, los doctores Miguel Ángel Perea y Nayra Escudero impartieron el taller teóricopráctico de Cirugía Mucogingival. Se abordaron las indicaciones del injerto libre, el colgajo pediculado y las técnicas bilaminares en dientes naturales y en implantes, con la realización de prácticas en mandíbula de cerdo. ●

NUEVA ENTREGA DE «DIÁLOGOS SECIB», CON EL DR. DAVID

GALLEGO Y EL DR. JOSÉ LUIS GUTIÉRREZ PÉREZ

El ex presidente de la Sociedad Española de Cirugía Bucal, David Gallego, fue el protagonista de la tercera entrega de «Diálogos SECIB». El Dr. David Gallego respondió las preguntas del Dr. Abel García y expuso su punto de vista sobre cómo debería articularse la formación especializada en Cirugía Bucal tras el reconocimiento de las especialidades en Odontología y sobre la incorporación de las tecnologías digitales a la Cirugía Bucal. Por su parte, el decano de la Facultad de Odontología de la Universidad de Sevilla y jefe del Servicio de Cirugía Oral y Maxilofacial del Hospital Virgen del Rocío, José Luis Gutiérrez Pérez, fue el protagonista de la cuarta entrega de «Diálogos SECIB». Con las especialidades odontológicas en el horizonte, el Dr. José Luis Gutiérrez reflexionó sobre los nuevos retos, a medio y largo plazo, a los que deberán hacer frente SECIB y los cirujanos bucales.

177 Gaceta Dental · N o 357 | Mayo 2023 NOTICIAS DE ACTUALIDAD
V Reunión de Invierno SECIB. Imagen: cedida por SECIB.

EL CONGRESO ANUAL DE MEGAGEN SE CELEBRÓ EN MADRID

Minec Summit 2023: el foro de la apasionante Odontología del futuro

Bajo el lema «Always Ahead», MegaGen Iberia celebró su congreso anual, Minec Summit 2023, el pasado 25 de marzo en el Auditorio Rafael del Pino de Madrid. Megagen y Minec se encargaron de reunir en su reciente Summit, celebrado en Madrid, a un nutrido grupo de profesionales interesados por el presente apasionante que vive la Odontología, y cómo no, por su aún más prometedor futuro. «Tenemos una ambición: la de guiaros para configurar el futuro de las clínicas dentales en España. Es una visión que es mucho más amplia que la de fabricar para vender. Mi preocupación es que vosotros estéis preparados para afrontar el presente de la mejor manera, y estéis mucho más preparados para poder afrontar el futuro: la tecnología, las demandas de vuestros pacientes que tanto han cambiado en los últimos años… En Megagen apostamos por las personas y la tecnología. Somos el hub que conecta a las personas con la tecnología, con la experiencia y con el conocimiento». Así arrancó el Minec Summit 2023, con las palabras

de Enrique García, director general de Megagen Iberia, compañía que aterrizó en España en plena pandemia. Todo un reto, sin duda, pero avalado por la dilatada y exitosa trayectoria de la compañía, de más de dos décadas, a nivel internacional.

ALTO NIVEL CIENTÍFICO Y CLÍNICO

El programa científico de Minec Summit 2023 lo firmaron ocho reputados profesionales, de nivel nacional e internacional, todos miembros del Consejo Minec, que preside el Dr. Óscar Alonso.

Así, en la Sala Auditorio y en la jornada de mañana, los asistentes pudieron aprender con las ponencias de los doctores Fernando Cebrián « Criterios para conseguir resultados predecibles en cirugía reconstructiva »; Davide Farronato «Advanced Aesthetics: managing around implants»; Jordi Gargallo « Claves científicas para la colocación de implantes según planificamos » y Juan Alberto Fernández « Fisiología ósea y sus implicaciones en la Cirugía Ósea Reconstructiva ». Todos ellos participaron en sendas mesas redondas, conducidas por

178 Gaceta Dental · N o 357 | Mayo 2023 NOTICIA DE EMPRESA
Foto de familia de los ponentes del Minec Summit 2023, junto a algunos miembros de la organización. Foto cedida por Megagen.

los Dres. Óscar Alonso y Esteban Padullés, donde los asistentes pudieron formular a los ponentes preguntas y trasladarles dudas sobre cuestiones concretas de la práctica odontológica. Por su parte, los interesados en la gestión dental disfrutaron y aprendieron, en una sala paralela, de los conocimientos de la Dra. Rosa María Ros, quien ofreció a los profesionales claves y pautas para optimizar la gestión en la clínica.

Tras la pausa para la comida en un espacio cercano, que sirvió también para fomentar el compañerismo y el networking, llegó el turno de los Dres. Eduardo Crooke y Felix Wucherpfennig con su ponencia sobre «Cómo planificar digitalmente y hacerlo realidad» y el Dr. Sam Omar con «Stackable Surgical Guides: new Innovations for complex full mouth rehabilitations». La jornada finalizó con una mesa redonda en la que participaron los tres reputados profesionales, con la moderación del Dr. Ricardo Gómez. ●

¿QUÉ ES MINEC?

Minec es el brazo científico de Megagen. Se fundó por un grupo de científicos e investigadores en Corea del Sur el año 2002 y desde entonces no ha parado de crecer, creando filiales en múltiples países. Así, Minec España se fundó en marzo de 2022 y sus miembros trabajan para crear un foro, interdisciplinario e independiente, basado en la evidencia científica, y relevante para todos los profesionales de la Odontología. De este modo, comparten talento, conocimiento y tiempo para y por el avance de la ciencia odontológica. «Ciencia, educación/formación, investigación e intercambio de conocimientos son los pilares fundamentales de Minec. Aunque muchos profesionales apuestan hoy en día por la formación, aún tenemos muchos colegas que trabajan en su clínica de forma muy aislada. La manera de cambiar esto es compartiendo la información mediante redes o comunidades que faciliten el intercambio de conocimiento. Nuestro objetivo es compartir la ilusión que nosotros vivimos por la profesión y ayudar al compañero», asevera el Dr. Óscar Alonso, presidente del comité científico de Minec España. De este modo, se da acceso a sus miembros a formación interactiva o se fomentan los procesos de investigación y publicación. Próximamente, se van a organizar breves sesiones clínicas con profesionales jóvenes para compartir conocimientos y experiencias. Desde que la red española naciera hace justo un año, no han parado de trabajar. «Ha sido un año apasionante y muy fructífero, pero esto es solo el principio. Vamos a dar mucho que hablar», finaliza el Dr. Alonso.

¿Quieres saber más sobre Minec y formar parte de esta red? Descúbrelo en el siguiente enlace: htt ps://imegagen.com/about/about_megagen/minec/

179 Gaceta Dental · N o 357 | Mayo 2023 NOTICIA DE EMPRESA
Los doctores Fernando Cebrián y Davide Farronato, junto al Dr. Óscar Alonso, presidente del comité científico de Minec España. ACCEDE AL RESUMEN DE MINEC SUMMIT 2023

CURSO DE LOS DRES. ROCÍO CERERO Y JUAN LÓPEZ-QUILES

Odontología de la UCM, presente en la 32ª edición de la ECL celebrada en Uruguay

Del 27 de febrero al 10 de marzo de 2023 tuvo lugar, en Montevideo (Uruguay), la trigésimo segunda edición de la Escuela Complutense Latinoamericana (ECL), una cita donde la Odontología española tuvo su representación con los Dres. Rocío Cerero y Juan López-Quiles, quienes nos revelan detalles de su experiencia formativa «al otro lado del charco».

¿Cómo se sumaron a este proyecto?

— RC/JL-Q. Es un proyecto de la Universidad Complutense que ya conocíamos. El Dr. Antonio Bascones, compañero de esta Facultad de Odontología UCM, ya participó en muchas de sus ediciones, y nosotros en otra anterior celebrada en Argentina.

Han dirigido, junto a sus colegas uruguayas, las Dras. Beovide y Cosetti, el curso «Patología no dentaria para odontólogos a través de imágenes y casos clínicos. La

regeneración ósea y sus secretos». ¿Qué pudieron aprender los alumnos de un modo más concreto?

—RC. En la primera semana, en la que impartimos Patología Oral no dentaria, la Dra. Beovide y yo hicimos un recorrido por las principales lesiones de la mucosa oral, ya sean potencialmente malignas, autoinmunes o infecciosas. Nuestra forma de abordarlo estuvo protagonizada por las imágenes, tanto clínicas como microscópicas.

—JL-Q. En la segunda semana, y de la misma manera, la Profa. Cosetti hizo de intermedio entre las dos semanas desarrollando el tema de tumores óseos, para finalizar yo explicando las posibilidades de rehabilitación en las diversas formas de defectos óseos en la mandíbula y maxilar, consecuencia o no, de los tratamientos sobre esos tumores.

Uno de los objetivos de la ECL es potenciar un marco de cooperación universitario de ámbito internacional. ¿Qué conexiones han podido establecer con sus colegas uruguayos?

—RC. La Dra. Beovide viene en mayo al

180 Gaceta Dental · N o 357 | Mayo 2023 NOTICIAS DE ACTUALIDAD
El curso se impartió durante dos semanas. En la primera participó la Dra. Rocío Cerero (imagen izda., junto al resto del profesorado) y en la segunda el Dr. Juan López-Quiles (en la imagen con profesores y parte de los alumnos en la entrega de diplomas).

Congreso de la Sociedad Española de Medicina

Oral y estará entre nosotros durante un tiempo. Tenemos algunos proyectos que esperamos poder desarrollar conjuntamente.

—JL-Q. La Dra. Cosetti vendrá al congreso de la SECIB y pusimos las bases para un proyecto concreto de investigación común.

—¿Cómo creen que repercutirán en la Odontología española las acciones de la ECL?

RC/JL-Q. La Escuela Complutense Latinoamericana tiene dos vertientes. Una de ellas es la colaboración de cada participante con su «contraparte» en el país de destino. En ese sentido, ambos hemos aprendido los diferentes enfoques que tienen nuestros compañeros. La otra vertiente es la convivencia con los compañeros Complutenses de áreas diversas. Es tan interesante quizá como la relación con los profesionales del país anfitrión. Se comparten experiencias, formas de impartir la docencia, problemas comunes, etc. Mezclando ambas ideas y, gracias a las preguntas y sugerencias de una alumna, ha surgido como ejemplo la futura creación de una asignatura optativa transversal entre el profesorado de Odontología y el de Medicina.

A nivel académico y profesional, ¿cómo es la realidad odontológica uruguaya?

— RC/JL-Q. En Patología Oral y Cirugía Bucal es muy similar a la nuestra, e incluso quizá mejor orientada ya que existen odontólogos que se forman y se dedican a la Patología Oral y a la Anatomía Patológica Oral y los cirujanos bucales (allí denominados maxilofaciales) son siempre odontólogos. No médicos. El nivel de conocimientos es muy similar y la voluntad de investigación también, aunque sí es posible que cuenten con menos recursos aún que nosotros.

Aunque sean docentes, uno siempre lleva la etiqueta de eterno estudiante. ¿Qué aprendizaje han sacado de esta experiencia?

RC/JL-Q. Hemos tenido la suerte de que nuestras contrapartes, son unas profesionales muy formadas y nos hemos complementado perfectamente a la hora de impartir el curso.

UNA INICIATIVA ÚNICA

La Escuela Complutense Latinoamericana, a iniciativa de la Universidad Complutense de Madrid (UCM), nació en 2006. Con carácter formativo, su propósito principal es potenciar un marco de cooperación universitaria de ámbito internacional, promoviendo actividades que aumenten los lazos de unión no solo entre las instituciones, sino especialmente entre los docentes y estudiantes. Un foro donde compartir conocimientos y enriquecerse con el intercambio de experiencias.

La ECL contribuye a profundizar en la cooperación estratégica entre las universidades participantes estimulando la cooperación en otros planos de interés mutuo tales como la creación de grupos de trabajo para articular proyectos conjuntos de investigación, cursos de doctorado, formación de posgrado, etc.

Hasta la fecha se han desarrollado treinta y dos ediciones, celebradas en diferentes centros universitarios de Argentina, Brasil, Bolivia, Chile, Colombia, México, Perú y Uruguay. Más de 9.500 alumnos y más de 1.500 profesores han participado en los más de 360 cursos, de muy diversas disciplinas, que se han impartido a lo largo de sus diferentes ediciones.

Además, añadiendo al resto de los profesionales uruguayos asistentes, hemos podido aprender mutuamente muchísimo.

¿Tienen pensado participar en más ediciones?

RC/JL-Q. Por supuesto, ya hemos participado en la edición de Buenos Aires y en esta de Monteviceo. Cada país es diferente y las experiencias son diferentes. ●

181 Gaceta Dental · N o 357 | Mayo 2023 NOTICIAS DE ACTUALIDAD

DAVIDE FAZIONI, DIRECTOR GENERAL DE HENRY SCHEIN ESPAÑA

Centro de Experiencias está concebido para todos los profesionales del sector»

El nuevo Centro de Experiencias es una muestra más del compromiso de Henry Schein con la vanguardia y las nuevas tecnologías, y ofrece a dentistas y protésicos dentales la posibilidad de conocer algunos de los últimos y más innovadores sistemas y equipamientos para clínicas y laboratorios dentales. Para conocer más sobre este nuevo espacio, hablamos con Davide Fazioni, vice president EMEA Dental Equipment and Service y general manager Iberia.

—Con el compromiso de impulsar las nuevas tecnologías y hacer que los profesionales estén a la vanguardia y conozcan de primera mano las novedades del sector, el pasado 24 de marzo inauguraron el nuevo Centro de Experiencias de la compañía. ¿Qué esperan de este nuevo espacio y cómo lo han recibido los profesionales del sector?

—Observamos constantemente las necesidades de nuestros clientes, que van cambiando debido, por ejemplo, a nuevas normativas o a los avances tecnológicos y la digitalización. El intercambio con expertos sobre qué equipos se adaptan mejor a las necesidades individuales es cada vez más importante para los profesionales de la Odontología y con este nuevo espacio pretendemos dar respuesta a esta necesidad. Además del Centro de Experiencias, hemos puesto en marcha Fast Track y Service First. Con Fast Track ofrecemos una nueva plataforma para los profesionales que necesiten tener la posibilidad de conectar con nosotros virtualmente, ya sea para una demostración online de un equipo o para solicitar asesoramiento. El objetivo de Service First es facilitar el servicio de soporte, ayudando de forma rápida y eficaz a resolver incidencias y reparaciones. En definitiva, con este nuevo Centro de Experiencias nuestro objetivo final es atender a los profesionales de la Odontología cómo y cuándo lo prefieran o necesiten.

—Este nuevo centro cuenta con una gran exposición de equipamiento. ¿Qué pueden ver los profesionales que lo visiten? ¿Hay soluciones y herramientas para todos los campos odontológicos?

—El Centro de Experiencias pone a disposición de nuestros clientes, y de todos aquellos profesionales del sector dental que deseen visitarlo, una amplia gama de productos y dispositivos dentales, como sistemas radiográficos de última generación, escáneres intraorales y extraorales, impresoras 3D, fresadoras y sillones dentales, entre otros. Se trata de un espacio en el que, por razones obvias, no podemos disponer de todo el equipamiento que tenemos en Henry Schein,

182 Gaceta Dental · N o 357 | Mayo 2023
ENTREVISTA DE EMPRESA
«El
Davide Fazioni, vice president EMEA Dental Equipment and Service y General Manager Iberia. Imagen: cedida por Henry Schein.

que es realmente extenso, aunque sí de una parte muy representativa de nuestro portfolio y una muestra de los últimos avances en el sector. Este showroom es un espacio en el que contamos con la presencia de nuestro equipo de expertos, que estarán a disposición de los visitantes para informarles sobre nuestros servicios y soluciones de negocio, y para asesorarles y orientarles en la adquisición de un producto o servicio que se ajuste a sus necesidades.

—También han apostado por la creación de espacios para sesiones formativas y demostraciones en directo. ¿Qué programación tienen prevista en este sentido?

—Para Henry Schein, la formación profesional ya era un servicio importante. Tenemos diferentes conceptos, desde formaciones locales hasta roadshows, como la primera parada de nuestro Dental Tour, que celebramos recientemente en

Santiago de Compostela para presentar allí, tanto a dentistas como a otros profesionales del sector, el equipamiento y los servicios que ponemos a su disposición.

—¿Para qué tipo de perfiles es ideal una visita al Centro de Experiencias de Henry Schein? ¿Estudiantes también?

—Las demostraciones de equipos en directo son perfectas para estudiantes; para jóvenes profesionales que vayan a empezar con su primera consulta; para profesionales de la Odontología que quieran iniciar o ampliar sus actividades digitales; así como para quienes estén planeando ampliar sus consultas. Está pensado para aquellos que quieran conocer las últimas novedades del sector y que deseen recibir asesoramiento experto sobre lo que mejor se adapte a sus objetivos individuales de futuro. En cuanto a la formación profesional, contaremos con un amplio programa con una amplia variedad de temas, desde la digitalización y el flujo de trabajo en la consulta hasta la conexión digital con los laboratorios dentales, la higiene, la gestión de la consulta y mucho más. El Centro de Experiencias está concebido por y para todos los profesionales del sector dental, independientemente de la etapa de su carrera profesional en la que se encuentren.

—¿Qué tiene que hacer un profesional interesado en visitar este Centro de Experiencias de Henry Schein?

—Para poder sacarle el máximo partido a la visita, invitamos a todos aquellos que estén interesados a reservar una cita previa, especialmente si quieren ver una demostración en vivo o participar en una formación. Para ello, pueden contactarnos vía telefónica o a través del formulario que encontrarán en la página web del Centro de Experiencias, que está disponible en la siguiente dirección https://promociones. henryschein.es/henry-schein-experience, aunque el Centro de Experiencias está abierto todos los días en horario comercial, por lo que pueden acercarse a visitarlo siempre que lo deseen. ●

183 Gaceta Dental · N o 357 | Mayo 2023
ENTREVISTA DE EMPRESA
El Centro de Experiencias pone a disposición una amplia gama de productos y dispositivos dentales. Imagen: Gaceta Dental.

El profesor Miguel Ángel González Moles ha sido invitado por la Organización Mundial de la Salud (OMS) para formar parte del grupo de expertos internacional que debate el paquete de servicios de atención bucodental que se incluirá en el compendio de cobertura sanitaria universal de la OMS. Desde Gaceta

Dental hemos hablado con el profesor, también catedrático del departamento de Estomatología de la Universidad de Granada (UGR), para poder conocer mejor su participación en las acciones que se van a llevar a cabo.

—Usted forma parte de un grupo de expertos dependiente del centro colaborativo de la OMS, cuya misión es el avance en el conocimiento del cáncer oral. Ahora ha sido

propuesto para formar parte de un grupo de expertos que asesorará a la OMS en el diseño de la cobertura sanitaria universal esencial en salud oral para 2030. ¿Nos puede explicar un poco cómo funciona este grupo y su papel en él?

—Se trata de un grupo de 20 profesionales -investigadores, clínicos y epidemiólogosintegrado por 4 miembros permanentes de la OMS y 16 expertos en diferentes campos de la Odontología, que tienen como cometido revisar, actualizar y consolidar los servicios esenciales de atención bucodental que deberían implementar los gobiernos de los diferentes países del mundo para alcanzar unos mínimos de salud bucodental en la población. Este grupo de trabajo se ha reunido en dos ocasiones para analizar y perfeccionar un borrador de servicios que atañen a diferentes aspectos de la salud oral, que siguen en discusión por parte de los miembros del grupo. Mi papel en este grupo de trabajo se está centrando, aunque no exclusivamente, en aquellas medidas que favorecerían el diagnóstico precoz del cáncer de cavidad oral y de los desórdenes orales potencialmente malignos, como son la leucoplasia oral y el liquen plano oral, entre otros, incluyendo la promoción del conocimiento de estas enfermedades y su prevención.

¿Cuál ha sido el camino hasta llegar a formar parte específicamente del grupo de expertos que asesorará a la OMS en el diseño de la cobertura sanitaria universal esencial en salud oral para 2030?

Este camino comenzó con mi designación como miembro del grupo de trabajo dependiente del centro colaborativo de la OMS para el estudio del cáncer oral, que físicamente está ubicado en el King’s College

184 Gaceta Dental · N o 357 | Mayo 2023 NOTICIAS DE ACTUALIDAD
DR. MIGUEL ÁNGEL GONZÁLEZ MOLES, CATEDRÁTICO DE LA UGR
«Los datos en relación a la salud bucodental en el mundo son alarmantes»
El Dr. Miguel Ángel Moles, catedrático del departamento de Estomatología de la Universidad de Granada (UGR). Imagen: cedida por el Dr. Moles.

de Londres, en el que yo participé actualizando los conocimientos sobre el potencial premaligno del liquen plano oral, un importante y prevalente desorden oral potencialmente maligno. Nuestra reunión de consenso dio lugar a un documento publicado en la revista Oral Diseases en 2021, en el que se recogen los aspectos más relevantes de estos desórdenes orales potencialmente malignos, con especial referencia a los factores que incrementan su riesgo de evolución a cáncer oral. Posteriormente, supongo que como consecuencia de haber participado previamente en ese grupo de cáncer, recibí la invitación de la OMS para participar en el grupo de trabajo cuyo cometido es el diseño de la cobertura sanitaria universal esencial en salud oral para 2030.

—Su rol va a ser el de indicar cuáles son las intervenciones clínicas que deberían considerarse como atención bucodental imprescindible. ¿Nos puede adelantar cuáles son las que usted considera?

—La promoción de la salud bucodental, la prevención, diagnóstico y tratamiento de las enfermedades bucodentales más relevantes entre las que se encuentran la caries dental, el tratamiento de lesiones cariosas severas en niños con afectación pulpar, la recuperación de dientes severamente dañados en adultos, la rehabilitación funcional protética, el tratamiento de infecciones odontogénicas mediante antimicrobianos orales con indicaciones precisas del tipo de fármaco, el diagnóstico precoz del cáncer de cavidad oral, etc.

— La OMS dice que el estado de la salud bucodental en el mundo es alarmante. ¿Cuál será el impacto, tanto social como económico, de no tomar medidas a tiempo?

—Los datos que recientemente ha proporcionado la OMS en relación a la salud bucodental en el mundo son, efectivamente, alarmantes. Sabemos que 3.500 millones de personas en el mundo padecen alguna, o más de una, de las enfermedades bucodentales más relevantes (caries dental en dientes deciduos y permanentes, enfermedad

periodontal, edentulismo y cáncer), y este número de casos supera en unos 1.000 millones a las otras 5 enfermedades más importantes conjuntamente consideradas (trastornos mentales, enfermedades cardiovasculares, diabetes, enfermedades respiratorias crónicas y cánceres).

—¿Cuál es la situación concreta de la salud bucodental en España?

—Según el último informe de la OMS sobre el perfil de salud oral por países, los datos para España no son muy halagüeños. Por ejemplo, se ha comunicado una prevalencia de caries no tratada en dientes deciduos del 33,2% de la población entre 1 y 9 años, así como una prevalencia de caries en dientes definitivos del 34% en mayores de 5 años. La prevalencia de enfermedad periodontal severa es del 6,7% de la población mayor de 15 años, y la prevalencia de edentulismo en población mayor de 20 años es del 8,9%. En mi opinión, estas cifras que atañen a aspectos esenciales de la salud oral son, en el momento actual, inaceptables para un país que, como España, se encuentra entre los más desarrollados del mundo.

—¿Qué medidas son, a su juicio, más urgentes para mejorar la salud bucodental de la población española?

—Es evidente que la mejora de la salud bucodental requiere aumentar los recursos sanitarios y la información a la población para que se adquieran medidas preventivas adecuadas. ●

185 Gaceta Dental · N o 357 | Mayo 2023 NOTICIAS DE ACTUALIDAD
«La mejora de la salud bucodental requiere aumentar los recursos sanitarios y la información a la población para que se adquieran medidas preventivas adecuadas»

CELEBRADO EL PASADO 25 DE MARZO

La regeneración ósea, protagonista del Dual Congress by Osteógenos

Osteógenos, empresa líder en regeneración tisular, celebró el pasado 25 de marzo, con motivo de su 20º aniversario, el Dual Congress by Osteógenos en las instalaciones de MEEU, en la Estación de Chamartín. Un encuentro donde los profesionales de la Odontología, la regeneración ósea y el manejo de tejidos blandos pudieron disfrutar de un programa cargado de ponencias, talleres y speaker corners junto a una exposición comercial.

La jornada comenzó con la ponencia de las Dras. Vanessa Ruiz Magaz y Leticia Sala, quienes hablaron de las estrategias terapéuticas en regeneración ósea. A continuación, el Dr. Antonio Armijo y el Dr. Pablo Pavón discutieron sobre la línea que divide el tejido duro y blando,

mientras que, por su parte, el Dr. Carlos Escuer y Arturo Flores presentaron su enfoque en «Keep it simple. Just do it».

El Prof. Dr. Hannes Wachtel y el Dr. Michele Antonio López expusieron el uso de la lámina de hueso cortical porcino y la técnica de multi capa, y las Dras. Carmen Martín y Mariví Álvarez versaron sobre la implementación del ácido hialurónico en la Odontología. Finalmente, el Dr. Antonio Murillo Rodríguez y el Dr. Juan Manuel Vadillo cerraron las ponencias con una charla sobre el fenotipo periimplantario y su gestión quirúrgica y protésica.

En cuanto a los talleres, estos fueron una parte fundamental del evento, donde los asistentes pudieron aprender técnicas y habilidades prácticas para su trabajo diario. En este sentido, el Dr. Peri Colino presentó los microtornillos de Ortodoncia; los Dres. Juan Amaro y Francisco Rodríguez compartieron sus técnicas tunelizadas con conectivo y xenoinjertos en el recubrimiento radicular; y el

186 Gaceta Dental · N o 357 | Mayo 2023
NOTICIA DE EMPRESA
El Dual Congress by Osteógenos dio a conocer las últimas tendencias y avances en el campo de la Odontología y la regeneración ósea. Imagen: cedida por Osteógenos.

Dr. Carlos Martínez Barcenilla y Alfonso García explicaron la elevación de seno. Además, el Prof. Dr. Hannes Wachtel impartió un taller sobre el manejo del tejido blando y la técnica de solapa para mejorar la precisión en las técnicas quirúrgicas.

Asimismo, el Dr. Pablo Baltar conversó sobre el uso del ácido hialurónico en la regeneración ósea guiada, mientras que la Dra. Jessica Cabezas presentó los tornillos de osteosíntesis Graftek. Por otro lado, los Dres. Hani Elsaheb y José Ramón Sirvent explicaron el uso de los implantes inmediatos; y los Dres. Pablo Neira y Alfonso Sande discutieron sobre la

periimplantitis en la Odontología actual con la moderación del Dr. Javier Gómez. La ponencia final fue impartida por Victor Küppers, que habló sobre la importancia de vivir con entusiasmo.

Por otra parte, en la exposición comercial, los expertos en regeneración ósea y Odontología presentaron sus productos y servicios.

En definitiva, «el Dual Congress by Osteógenos fue un evento enriquecedor en el que se pudieron conocer las últimas tendencias y avances en el campo de la Odontología y la regeneración ósea. Los asistentes tuvieron la oportunidad de interactuar con expertos en el sector, participar en talleres prácticos y conocer de primera mano las últimas novedades en la exposición», señalan desde Osteógenos.

«Desde la organización, queremos expresar nuestro más sincero agradecimiento a todos los asistentes por su compromiso y dedicación, así como a todos los ponentes, al Comité Científico que nos acompañó y a los colaboradores que nos acompañaron ese día por hacer posible esta jornada tan enriquecedora, donde los asistentes pudieron disfrutar de un programa completo y variado, que combinó teoría y práctica en un ambiente de celebración y aprendizaje», concluyen. ●

187 Gaceta Dental · N o 357 | Mayo 2023
NOTICIA DE EMPRESA
«Los talleres fueron una parte fundamental del evento, donde los asistentes pudieron aprender técnicas y habilidades prácticas para su trabajo diario»
Los asistentes tuvieron la oportunidad de interactuar con expertos en el sector y participar en talleres prácticos. Imagen: cedida por Osteógenos.

CON EL FOCO EN LA DIRECCIÓN Y ADMINISTRACIÓN CLÍNICA

SEDAD, nueva Sociedad en el sector dental

del nivel de digitalización óptimo.

El presidente de SEDAD, el Dr. Enrique Solano, junto con el resto de la Junta Directiva -compuesta por estomatólogos, odontólogos y profesionales interesados en la investigación y desarrollo del sector dental en las áreas de la dirección y gestión empresarial-, trabajarán para acreditar los conocimientos científicos, tecnológicos e innovadores para el desarrollo de la excelencia de la dirección y administración de las clínicas dentales y promover su progreso científico, estudio y difusión.

Con el objetivo de acelerar íntegramente el proceso de transformación digital de toda cadena dental nace la Sociedad Española de Dirección y Administración Dental (SEDAD), una nueva sociedad científica que velará por divulgar la importancia de la sostenibilidad de la clínica dental como sujeto tractor del sector.

La situación digital actual de las clínicas dentales en España arroja cifras, sin duda, mejorables, habiendo alcanzado tan solo el 32%

En SEDAD aseguran que es necesario favorecer el posicionamiento de las clínicas dentales en la cadena de valor del sector odontológico, visualizando sus necesidades en la dirección y tecnología y difundiendo los beneficios de la innovación tecnológica no solo en las especialidades sino también en la cuestión administrativa de las clínicas dentales. Uno de los principales fines de SEDAD es impulsar la cultura digital de los odontólogos y las clínicas dentales, así como democratizar la presencia de la Inteligencia Artificial, Business Intelligence y Big Data al servicio de los profesionales de la dirección de las clínicas dentales, obteniendo un profundo impacto en las especialidades clínicas.

SEDAD invita a los propietarios de clínicas dentales y profesionales de dirección y administración a unirse a sus actividades formativas y a formar parte activa como miembros de la sociedad. Los profesionales interesados pueden ampliar información en www.sedad.es y seguir toda la actualidad en el perfil de Instagram @sociedadsedad ●

188 Gaceta Dental · N o 357 | Mayo 2023 NOTICIAS DE ACTUALIDAD
Uno de los principales fines de SEDAD es impulsar la cultura digital de los odontólogos y las clínicas dentales. Imagen: cedida por IDEO.

RENOVACIÓN DEL CARGO

César Calvo, reelegido presidente de los higienistas madrileños

— Su vinculación con el Colegio Profesional de Higienistas Dentales de Madrid viene de años atrás; concretamente, desde el año 2002, fecha de la creación del Colegio. En todo este tiempo, ¿cuál diría que han sido los cambios más significativos que ha experimentado el Colegio? ¿Cómo definiría su evolución?

Con el objetivo de acercar más la figura del higienista dental a la sociedad y consolidarla en los equipos multidisciplinares odontológicos, César Calvo se enfrenta a su segunda legislatura como presidente del Colegio Profesional de Higienistas Dentales de la Comunidad de Madrid.

Sr. Calvo, recientemente ha renovado su cargo como presidente del Colegio Profesional de Higienistas Dentales de la Comunidad de Madrid. ¿Cómo afronta esta nueva legislatura y qué supone para usted continuar al frente de la Junta de Gobierno del Colegio?

—Con las mismas motivaciones y ganas de trabajar que en la primera legislatura. El Colegio de Higienistas de Madrid se ha convertido en la institución de referencia de esta profesión sanitaria y mi deseo es continuar la trayectoria iniciada de conseguir más presencia institucional para el Colegio, así como un mayor reconocimiento para esta profesión.

—Quizás uno de los mayores avances sea el número de colegiados con los que cuenta el Colegio y que, actualmente, supera los 4.100. La impartición de cursos es otro de los grandes cambios que ha ido experimentado el Colegio, evolucionando hasta la creación de una plataforma digital. También, la creación de un portal de empleo de uso sencillo, que permite al profesional acceder a ofertas de empleo, logrando así una comunicación directa entre la clínica y el higienista.

Usted, como presidente, ¿qué objetivos se plantea de cara a este nuevo mandato? y ¿cuáles son los retos más inmediatos a conseguir?

—Nuestra intención es acercar más la figura del higienista dental a la sociedad y consolidarla en los equipos multidisciplinares odontológicos. Igualmente, queremos seguir mejorando la oferta en los cursos de formación. Por último, seguiremos trabajando en la erradicación del intrusismo profesional.

Y, pensando en el futuro, ¿cuáles son los principales desafíos dentro del colectivo de higienistas dentales en nuestro país? ¿Y en la Comunidad de Madrid?

Uno de los problemas que se dan en el colectivo es que, a pesar de que la profesión de higienista dental cuenta con una elevada demanda laboral, a día de hoy es una profesión que sigue sin estar debidamente retribuida. ●

190 Gaceta Dental · N o 357 | Mayo 2023 NOTICIAS DE ACTUALIDAD
César Calvo, presidente del Colegio Profesional de Higienistas Dentales de la Comunidad de Madrid. Imagen: cedida por el Colegio.

DR. JOSÉ NART

Congresos

Del 31 de mayo al 3 de junio de 2023, Sevilla albergará la celebración del Congreso de la Periodoncia y la Salud bucal SEPA + FIPP 2023, fruto de la cooperación entre la Fundación

SEPA de Periodoncia e Implantes dentales y la Federación Iberopanamericana de Periodoncia. ¿Qué esperan de esta cita científica? ¿Cuál es el objetivo y por qué han decidido crear un congreso conjunto?

—El congreso de SEPA + FIPP 2023 es un congreso de altísima calidad científica con temas actualizados acorde a la evidencia

Presidente de SEPA

La ciudad de Sevilla acogerá, del 31 de mayo al 3 de junio, la celebración del Congreso SEPA + FIPP 2023, un evento, en palabras del Dr. José Nart, presidente de la Sociedad Española de Periodoncia y Osteointegración (SEPA), «muy completo en cuanto a sus contenidos, ofreciendo propuestas para todos los profesionales de la Odontología y la salud bucal y con un marcado carácter interdisciplinar acorde a la práctica clínica de referencia de la Periodoncia actual», estructurándose en itinerarios formativos específicos de Perio, Interdisciplinar, Higiene, Digital y Gestión.

científica, incorporando la percepción del paciente, en aquellos ámbitos en los que hay cierto consenso. Muy completo en cuanto a sus contenidos, ofreciendo propuestas para todos los profesionales de la Odontología y la salud bucal, así como abriéndonos a otros profesionales de la salud. De forma complementaria y coherente con la línea de cooperación institucional de SEPA, este encuentro científico servirá también de altavoz de la Federación Europea de Periodoncia, a la que SEPA también pertenece de forma activa, así como de la Academia Americana de Periodoncia y otros colaboradores educativos

192 Gaceta Dental · N o 357 | Mayo 2023 CONGRESOS. SEPA + FIPP 2023

como las Fundaciones corporativas ITI, International Team for Implantology; Oral Reconstruction Foundation u Osteology Foundation.

—Un rasgo sobresaliente y diferencial de este evento es su eminente carácter multidisciplinar, estructurándose en itinerarios formativos específicos de Perio, Interdisciplinar, Higiene, Digital y Gestión. ¿Por qué han decidido apostar por esta línea en el congreso? ¿Qué puede adelantarnos sobre los ponentes y los temas que debatirán en sus conferencias?

—El congreso SEPA + FIPP 2023 tiene un marcado carácter interdisciplinar acorde a la práctica clínica de referencia de la Periodoncia actual. Se abordará una importante actualización de las nuevas tendencias de diagnóstico y tratamiento periodontal, de manejo de tejidos blandos y terapia mucogigival, así como terapéutica de implantes, además del necesario enfoque interdisciplinar PerioPrótesis, abordando la rehabilitación tras el control de la infección, para el correcto tratamiento de la periodontitis en su estadio cuatro. Además, debemos destacar la nueva perspectiva de las enfermedades periimplantarias. En el congreso de Higiene, el profesional de la salud bucal tiene una oportunidad extraordinaria para reforzar y actualizar su formación con una perspectiva global de promoción de salud periodontal y periimplantaria, mejora de la gestión de los tratamientos interdisciplinares, y conocimiento de las novedades que aportan las nuevas tecnologías y las terapias coadyuvantes. Y el congreso de Gestión reúne a las principales voces autorizadas con experiencia para aportar las soluciones más innovadoras para la mejora de la eficiencia clínica y responder así los retos actuales de las personas con responsabilidad gerencial que garanticen la sostenibilidad y viabilidad de la clínica dental.

—Entre los múltiples alicientes, este encuentro de SEPA + FIPP 2023 tiene previstas varias cirugías, de la mano de

líderes mundiales. ¿Qué aprenderán los asistentes que acudan a dichas cirugías en directo?

—Este año integramos dos cirugías en directo muy innovadoras con Giovanni Zucchelli e Ignacio Sanz Sánchez. Zucchelli se centrará en la colocación de implante inmediato con ausencia de pared vestibular y con reconstrucción simultánea, lo que acortará el número de intervenciones y tiempo de espera para el paciente. Con idéntica relevancia, Sanz Sánchez nos va a mostrar los cambios en el paradigma del tratamiento quirúrgico de la periimplantitis.

—Por otro lado, más de 80 empresas ya han confirmado su presencia en el congreso. ¿Qué podrán ver los profesionales del sector en la zona de exposición comercial?

—Los profesionales de la salud bucal disfrutarán de las numerosas innovaciones tecnológicas y digitales; nuevos biomateriales que facilitan la regeneración de tejidos blandos y duros; nuevos instrumentos de descontaminación química y mecánica de los implantes dentales; nuevas herramientas de planificación y comunicación con el pacientes; y algunas muestras incipientes de utilidades y soluciones basadas en Inteligencia Artificial.

—¿Por qué es una cita imprescindible dentro del sector de la Odontología?

—SEPA es una cita esencial para la Odontología española y la Periodoncia internacional porque así lo conciben los dentistas españoles y los periodoncistas de numerosos países que han acudido al congreso en los últimos años; y los colaboradores estratégicos de SEPA, quienes hacen posible con su confianza y respaldo este proyecto tan ilusionante. ●

193 Gaceta Dental · N o 357 | Mayo 2023 SEPA + FIPP 2023. CONGRESOS
«SEPA + FIPP 2023 es un congreso de altísima calidad con temas actualizados acorde a la evidencia científica»

VITA Confección CAD/CAM & Recubrimiento

Organiza: VITA.

Ponente: Dr. Jorge Carro.

Fecha y lugar: 8 y 9 de junio de 2023 en Alicante.

Teléfono e e-mail: 678 774 492 - r.perez@vita-zahnfabrik.com

https://www.vita-zahnfabrik.com/

Webinario «Implantes inmediatos en sector anterior en casos complejos»

Organizan: Ticare, en colaboración con SEPES.

Imparte: Dr. Alberto Salgado. Fecha: 8 de mayo de 2023. www.sepes.org

Jornada AEDE centrada en la Traumatología dental

Organiza: Asociación Española de Endodoncia (AEDE), en colaboración con el Colegio Oficial de Odontólogos y Estomatólogos de Cantabria.

Ponentes: Fernando Durán-Sindreu, María Zanón y Alberto Cabrera.

Fecha y lugar: 10 de junio de 2023 en el Colegio Oficial de Odontólogos y Estomatólogos de Cantabria (Santander).

https://jtdsantander.com/

Formación «Spark Onboarding» Barcelona

Organiza: Manuel Román Academy. Fecha y lugar: 20 de mayo de 2023 en Barcelona.

E-mail: info@manuelroman.com

Esta formación está dirigida a ortodoncistas que ya tienen experiencia en alineadores y quieren dar el salto a Spark. https://manuelroman.com/spark-onboarding/

1er Congreso Nacional Multidisciplinar AIOI España

Organiza: AIOI España (Academia Internacional de Odontología Integral España).

Fecha y lugar: 1 y 2 de julio de 2023 en Segovia.

E-mail: aioiespana.secretaria@gmail.com

Evento con un programa científico con destacados ponentes nacionales e internacionales. www.aioiespaña.com

Calendario de cursos de certificación

Organiza: Alineadent.

Imparten: Dras. Josefa Castaño, Cristina Monleón y Carolina Valle. Fechas y lugares: 13 de mayo de 2023 (Málaga).

3 de junio de 2023 (Madrid).

28 de octubre de 2023 (Barcelona). https://academy.alineadent.com/

194 Gaceta Dental · N o 357 | Mayo 2023 AGENDA Agenda

3ª edición de VITA Rocks

Organiza: VITA.

Fecha y lugar: 10 de junio de 2023 en Alicante. Durante una jornada, tendrán lugar ponencias sobre prostodoncia y talleres prácticos sobre los temas más actuales.

www.vita-zahnfabrik.com/vitarocks

I Jornadas de Implantología protésicamente guiada

Organiza: Unidad de Periodoncia de la Universidad de Murcia con Ticare.

Ponentes: Dres. José Antonio Sánchez Nicolás, Pablo Domínguez Cardoso, Ana Orozco Varo y María del Carmen Ramos.

Fecha y lugar: 19 de mayo de 2023 en el Hospital General Universitario Morales Meseguer (Murcia).

https://www.ticareimplants.com/formacion/

Inmersión en Implantología y prácticas de Cirugía con titulación universitaria

Organiza: Sinedent, en colaboración con S.I.N Implant System, la UNICID y el Instituto Branemark de Sao Paulo.

Fechas: mayo de 2023.

Teléfono: 916 252 162 info@sinedent.com

Experto en Ortodoncia Funcional, Aparatología Fija y Alineadores

Organiza: Ortocervera - Instituto de Ortodoncia.

Imparten: Dres. Alberto Cervera, Isabel Cervera y Mónica Simón.

Fecha: 28 de septiembre de 2023.

Teléfono: 915 541 029

www.ortocervera.com

Cursos modulares «Exocad»

Organiza: Scannice.

Teléfonos: 635 794 697 - 956 302 371

E-mail: info@scannice.com

Conviértete en un experto y lleva tus trabajos a otro nivel de la mano de expertos con más de 15 años de experiencia en el sector dental.

www.scannice.com

Curso «MARPE y alineadores: cómo utilizar el anclaje esquelético para maximizar el éxito del tratamiento»

Organiza: Ortoplus.

Imparten: Dr. Ignacio Faus y Dr. Martín Pedernera. Fecha y lugar: 17 de junio de 2023 en Málaga.

https://academy.ortoplus.es/marpe

195 Gaceta Dental · N o 357 | Mayo 2023 AGENDA
Demostraciones Talleres Expert-Talk Presentaciones Ofertas Novedades Corner innovación Exposición Tecnológica

Certificado Universitario «Cirugía Regenerativa en Implantología»

Organiza: Universidad Complutense de Madrid - Facultad de Odontología.

Dirige: Dr. Juan López-Quiles.

Fecha y lugar: 2023 en la Facultad de Odontología UCM.

Teléfono e e-mail: 913 941 906 - odonfpermanente@ucm.es www.odontologia.ucm.es//f-permanente-cursos

Conferencia «El concepto del implante individualizado»

Organiza: Ticare.

Imparte: Prof. Mariano Sanz. Fecha y lugar: 2 de junio de 2023 en SEPA Sevilla. El Fórum Corporativo Ticare «Gestión de la Periimplantitis» se integra en el Simposio de Salud Periimplantaria dentro del programa oficial de Periodoncia de SEPA Sevilla. https://www.ticareimplants.com/formacion/

Gradia Plus: estratificación estética de composite

Organiza: GC Ibérica Dental.

Imparte: Francisco Troyano.

Fecha y lugar: 19 de mayo de 2023 en el Campus de GC Ibérica en Madrid.

Teléfono e e-mail: 916 364 340 - formacion@spain.gceurope.com

https://www.gc.dental/europe/es-ES

Aligner Pro Academy

Organiza: Instituto de Desarrollo Odontológico Digital (IDEOD). Dirigen: Beatriz Solano, Fara Yeste y Elvira Antolín. Duración: 12 meses. Inicio en enero de 2024. Modalidad: online. Clases en directo y emitidas en diferido. Teléfono e e-mail: 659 862 391 - formacion@institutoideo.es www.institutoideod.es

Título Experto Universitario en Endodoncia

Organiza: CEOdont.

Imparte: Dr. Juan Manuel Liñares Sixto.

Fechas: el primer módulo se celebrará en abril de 2024.

Consta de 5 módulos.

Teléfonos e e-mail: 915 530 880 - 680 33 83 17 - cursos@ceodont.com www.ceodont.com

¿Te gustaría aprender o mejorar tu nivel de FOTOgrafía Dental?

Organiza: Fernando Rey FOTOgrafía Dental. Cursos personalizados grupales o individuales. Cursos tanto de nivel clínico como avanzado. Ofrecen diseño de presentaciones, conferencias y comunicaciones modernas, elegantes y dinámicas. www.fotografiadentalfr.com/

196 Gaceta Dental · N o 357 | Mayo 2023 AGENDA

Cursos de certificación y Medicina Dental del Sueño

Organiza: OrthoApnea.

Imparten: Dres. Eduardo Vázquez, Javier Albares y Rocío Marco.

Fechas y lugares: 26 de mayo de 2023 (Barcelona), 9 de junio de 2023 (Madrid) y 20 de octubre de 2023 (Málaga).

https://www.orthoapnea-academy.com/

Nuevas formaciones en Armonización Orofacial

ARMONIZACIÓN OROFACIALEN ODONTOLOGÍA MÁSTERYEXPERTO

www.masterarmonizacionorofacial.es

Organiza: Asociación Andaluza de Cirugía Bucal (AACIB).

Fechas y lugares: El «Curso de Experto Clínico en Armonización Orofacial» en Sevilla del 1 al 3 de junio de 2023.

Teléfono: 605 194 105

https://www.masterarmonizacionorofacial.es/

Aplicación clínica del avance mandibular para el tratamiento de la AOS

Organiza: Ortocervera - Instituto de Ortodoncia.

Imparte: Dra. Mónica Simón Pardell.

Fecha: libre elección.

Teléfono: 915 541 029

www.ortocervera.com

Máster Experto Ortodoncia Invisible Intensivo

Organiza: Manuel Román Academy. Fecha y lugar: del 29 de junio al 2 de julio. Ubicación por determinar. Este Máster se dirige especialmente a ortodoncistas que ya tienen experiencia en ortodoncia invisible y es la manera más rápida y eficiente de perfeccionar y sacarle el máximo partido a los Sistema Spark e Invisalign.

https://manuelroman.com/master-experto-ortodoncia-invisible/

Máster en Dirección y transformación de clínicas dentales

Organiza: Instituto de Desarrollo Odontológico Digital (IDEOD).

Dirigen: Sofía Solano, Pedro de Ahumada y Úrsula Barroso.

Fecha y lugar: octubre de 2023-diciembre de 2024 en Sevilla.

Teléfono e e-mail: 659 862 391 - formacion@institutoideo.es

www.institutoideod.es

VI Edición Curso modular de técnicas quirúrgicas en regeneración ósea y tejidos blandos «injertos autólogos y xenoinjertos»

Organiza: Osteógenos. Imparten: Dres. Antonio Armijo y Pablo Pavón. Fecha y lugar: comienza en noviembre de 2023 en Bilbao.

Teléfono e e-mail: 914 133 714 - formacion@osteogenos.com www.osteogenos.com

198 Gaceta Dental · N o 357 | Mayo 2023 AGENDA

Posgrados CEU: Da el salto al siguiente nivel

másteres en odontología

100% de inserción

laboral

Con más horas de aprendizaje práctico. En centros externos o en nuestra Clínica Odontológica Universitaria, para garantizarte un contacto directo y supervisado con los pacientes.

Elige el tuyo:

Máster Universitario en Ortodoncia y Ortopedia Dentofacial

Máster de Formación Permanente en Especialización en Ortodoncia (inglés o español)

Máster de Formación Permanente en Cirugía Bucal

Máster de Formación Permanente en Cirugía Bucal e Implantología Bucofacial

Máster de Formación Permanente en Endodoncia (inglés o español)

Máster de Formación Permanente en Odontopediatría Integral

Máster de Formación Permanente en Especialización en Prótesis Avanzada

· · ·
· · · ·
CEU Universidad Cardenal Herrera

Formación «Spark Onboarding» Madrid

Organiza: Manuel Román Academy.

Fecha y lugar: 7 de julio en Madrid.

¿Quieres saber todo sobre el sistema de ortodoncia invisible Spark? Esta formación está dirigida a ortodoncistas que ya tienen experiencia en alineadores y quieren dar el salto a Spark.

https://manuelroman.com/spark-onboarding/

Diploma de Experto en Odontopediatría Clínica

Organiza: Instituto de Desarrollo Odontológico Digital (IDEOD). Programa acreditado por la Universidad Nebrija (NFC).

Dirige: Dra. Asunción Mendoza.

Duración: 20 ECTS. 9 meses. Inicio en septiembre de 2023.

Modalidad: Presencial a tiempo parcial en Sevilla.

Teléfono e e-mail: 659 862 391 - formacion@institutoideo.es www.institutoideod.es

XXXIII Reunión Anual SEDCYDO

Organiza: Sociedad Española de Disfunción Craneomandibular y Dolor Orofacial (SEDCYDO).

Fecha y lugar: 19 y 20 de mayo 2023 en Gijón.

El objetivo de esta reunión es el de avanzar en el conocimiento de los mecanismos fisiopatológicos, diagnóstico y tratamiento de esta complicada área de la Odontoestomatología.

https://sedcydogijon.com/

Cursos «Blender for dental»

Organiza: Scannice.

Teléfonos: 635 794 697 - 956 302 371

E-mail: info@scannice.com

Descubre todo lo que tiene que ofrecer el software de diseño más rompedor del mercado con estos cursos modulares. www.scannice.com

Curso superior de formación continuada en Endodoncia integral

Organiza: Clínica Fabra.

Imparte: Dr. Hipólito Fabra Campos.

Fechas: 26-27 de mayo de 2023 en Valencia.

Teléfonos e e-mail: 963 944 640 - hfabra@infomed.es http://www.infomed.es/hfabra

Curso avanzado en alineadores invisibles

Organiza: CEOdont.

Imparten: Dr. Andrade Neto con la colaboración de la Dra. María Ángeles Rábago.

Fecha: del 24 al 27 de mayo de 2023.

Teléfonos e e-mail: 915 530 880 - 680 338 317 - cursos@ceodont.com

https://ceodont.com/

200 Gaceta Dental · N o 357 | Mayo 2023 AGENDA
Dr. Hipólito Fabra Campos Curso Superior de Formación Continuada en ENDODONCIA INTEGRAL INFORMACIÓN Srta. ROSA, Tel. 963 944 640 - hfabra@infomed.es - www.infomed.es/hfabra FECHAS 13 y 14 de Enero - 17 18 de Febrero - 24 25 de Marzo 28 y 29 de Abril - 26 y 27 de Mayo

Alineadores In-House: planificación e impresión 3D

Organiza: Ortocervera - Instituto de Ortodoncia.

Imparten: Dra. Isabel Cervera, Dr. Alberto Cervera y Dra. Mónica Simón.

Fecha: junio de 2023. Dos módulos.

Teléfono: 915 541 029

www.ortocervera.com

69 Congreso SEDO Bilbao

Organiza: Sociedad Española de Ortodoncia y Ortopedia (SEDO).

Fecha y lugar: del 7 al 10 de junio de 2023 en Bilbao. El programa científico del evento gira en torno al tratamiento integral del paciente adulto. Ponencias a cargo de destacados profesionales a nivel nacional e internacional.

Teléfono: 913 441 958

https://sedobilbao2023.com/

XIV Curso de Kinesiología y Posturología

Organiza: SEKMO (Sociedad Española de Kinesiología Médica Odontológica).

Fechas y lugar: 19-20 de mayo, 7-8 de julio, 22-23 de septiembre, 27-28 de octubre y 2425 de noviembre de 2023 en Madrid.

Curso basado en el método GME.

Teléfono e e-mail: 691 684 308 - secretariatecnica@sekmo.es

www.sekmo.es

Máster de Formación Permanente en Ortodoncia y Ortopedia Dentofacial

Organiza: Instituto de Desarrollo Odontológico Digital (IDEOD). Programa acreditado por Universidad Nebrija (NFC). Dirige: Dr. Enrique Solano.

Duración y modalidad: 120 ECTS. 3 años. Abierta matrícula 2023/2026. Presencial a tiempo parcial en Sevilla.

Teléfono e e-mail: 659 862 391 - formacion@institutoideo.es www.institutoideod.es

Formación «Spark Onboarding» Barcelona

Organiza: Manuel Román Academy.

Fecha y lugar: 8 de julio en Barcelona.

¿Quieres saber todo sobre el sistema de ortodoncia invisible Spark? Esta formación está dirigida a ortodoncistas que ya tienen experiencia en alineadores y quieren dar el salto a Spark.

https://manuelroman.com/spark-onboarding/

Rehabilitación multidisciplinar compleja. Repaso y presentación de casos

Organiza: MEDA Formación con la colaboración de BioHorizons Camlog.

Imparte: Dr. Ramón Gómez Meda.

Fecha y lugar: del 8 al 10 de junio de 2023 en Meda Dental Centro Odontológico. Ponferrada. E-mail: educacioniberica@biohorizons.com

https://www.biohorizonscamlog.com/en/education/

202 Gaceta Dental · N o 357 | Mayo 2023 AGENDA

Productos

Power steamer, la nueva vaporeta de Renfert

Con Power steamer, los laboratorios dentales alcanzan ahora con la limpieza por vapor un nuevo nivel. Esta vaporeta, que incluye un elemento calefactor libre de mantenimiento y un diseño inteligente, completa el equipo de laboratorio con funciones inteligentes, un diseño llamativo y una fiable generación de vapor. El elemento principal es el recipiente donde el elemento calefactor se encuentra fundido con el suelo macizo de aluminio.

https://info.renfert.com/es/

Sistema de matrices seccionales Strata-G™ de Garrison Dental

La nueva matriz seccional Strata-G™ de Garrison está diseñada para realizar una mayor variedad de restauraciones con composite de Clase II. Este completo kit incluye las tres variedades de anillos separadores, cinco tamaños diferentes de banda de matriz, y cuatro tamaños de cuñas interproximales, así como pinza de colocación de anillos.

www.garrisondental.com/es

Nuevo catálogo de aparatología digital de Ortoplus

Con una firme dedicación en ofrecer soluciones avanzadas y una amplia experiencia en la industria dental, Ortoplus se compromete a brindar a los profesionales de la salud dental las herramientas necesarias para mejorar la calidad de sus tratamientos. Cada uno de los aparatos ha sido cuidadosamente seleccionado y diseñado para garantizar la máxima calidad y efectividad, ofreciendo soluciones ortodónticas avanzadas para una amplia gama de tratamientos.

www.ortoplus.es/catalogo

Pieza de mano ergonómica e inalámbrica ideal para activar la irrigación y así realizar un correcto desbridamiento y desinfección del sistema de conductos radiculares. Diseñado especialmente para garantizar un fácil acceso a todas las piezas dentales.

www.rumarcedeira.com

Pilar transepitelial de Smart Implant Solutions

Favorece el apoyo de las fibras de colágeno, protegiendo al implante del paso de bacterias. La superficie del pilar (que conecta con el implante dental) está anodizada, dificultando la colonización bacteriana, además de mejorar el aspecto del tejido blando y evitando los grises de la encía. El hecho de tener microretenciones en la base del pilar favorece que las fibras de colágeno se anclen a éste.

www.smartimplantsolutions.com

Descubre el escáner de laboratorio 3Shape F8

Algunos aspectos destacados de 3Shape F8 son: más eficiencia, ya que reduce el tiempo de intervención de los técnicos con el diseño intuitivo de colocar y escanear; más versatilidad, al ofrecer una gama completa de servicios de calidad con menos esfuerzo; y más rapidez, puesto que controla tu volumen de trabajo con flujos de trabajo de escaneado a diseños sencillos y automatizados.

https://www.3shape.com/en/scanners/f8

204 Gaceta Dental · N o 357 | Mayo 2023 PRODUCTOS
ENDO 3 Woodpecker, el nuevo y más avanzado endoactivador

Multi-Unit recto y angulado de Smart Implant Solutions

Smart Implant Solutions ofrece una amplia gama de transepiteliales Multi-Unit de alta calidad y excelentes propiedades mecánicas, con una conexión al implante de altísima precisión. Su forma anatómica favorece el asentamiento y cierre de la encía, evitando las patologías periimplantológicas. Disponibles en formato recto y angulado, para correcciones de ángulo de 17o y 30 o. El ajuste es óptimo con las llaves Multi-Unit de Smart Implant Solutions.

www.smartimplantsolutions.com

Anticipa la sensación de estabilidad primaria con Ticare V2

Ticare V2 es la esencia de Ticare, con un restyling de la geometría externa del implante Ticare. La espiral de doble hilo de estos implantes reduce a la mitad el tiempo de inserción, minimizando así el calentamiento óseo. Además, es un ápice más eficaz, por lo que, gracias a un cono más apuntado, aporta estabilidad primaria adicional. Con este cambio en la geometría externa se consigue mejor estabilidad primaria, menor tiempo de inserción y reducir más el traumatismo.

https://www.ticareimplants.com/

Nuevo diseño de la pinza FXP01 de Garrison

Nuevo sistema Strata G de Garrison

Las matrices, el anillo y la cuña del nuevo sistema Strata G se unen para crear un sellado periférico de 270 o SEAL TM que evitará las rebabas del composite y sobrecontornos. De este nuevo sistema se destaca, sobre todo, el material de los anillos, la ausencia de fugas, la flexibilidad para un mayor sellado cervical y el reborde marginal perfeccionado.

https://www.garrisondental.com/es

Tecnología de vanguardia para dientes protésicos con VITA

Con el desarrollo del material para dientes protésicos VITA MRP (Microfiller Reinforced Polymermatrix), VITA Zahnfabrik está estableciendo un nuevo estándar: todos los dientes VITA de gama alta tienen como base particular la nueva fórmula de microrellenos altamente reticulados y de polímeros. Los materiales de dentina, cuello y de esmalte se prensan simultáneamente en una sola moldura.

https://www.vita-zahnfabrik.com/

AP-B Woodpecker, la solución para una profilaxis perfecta

Garrison ha mejorado el diseño de la pinza FXP01. El nuevo diseño es más «angulado» y también dispone de dos posiciones para colocar el anillo en diferentes inclinaciones de manera que se puedan situar los anillos con facilidad en cualquier dirección.

https://stratagmatrix.com/es/

El nuevo AP-B de Woodpecker es la herramienta perfecta que no puede faltar en cualquier clínica donde se realizan tratamientos de profilaxis, Periodoncia y Endodoncia, gracias a que integra un ultrasonido piezoeléctrico, así como un potente y versátil aeropulidor 2 en 1 con función supragingival y subgingival. Función autolimpieza y diseño antiatasco. Todo ello en una única unidad fácilmente programable.

https://rumarcedeira.com/novedades-aparatologia/

205 Gaceta Dental · N o 357 | Mayo 2023 PRODUCTOS

Los materiales de restauración a base de metacrilato son la única opción para la terapia de obturación directa en la mayoría de los casos. Ningún otro material es capaz de manejar parámetros tan importantes como la estética, la estabilidad, el manejo o el pulido de forma tan excelente como esta clase de material. Además, la biocompatibilidad, es decir, la compatibilidad con los seres humanos y el medio ambiente, es siempre el objetivo del paciente y del dentista. Por lo tanto, es de gran interés para los fabricantes aumentar continuamente la biocompatibilidad de sus materiales. En la Universidad de Friburgo se investigó y comparó Admira Fusion, el material de restauración de ORMOCER® nano-híbrido de VOCO, con resinas de restauración tradicionales en cuanto a su compatibilidad con las células gingivales humanas.[1]

Con la O-Star podrás polimerizar todas las resinas del mercado en tan solo 1 segundo. Dispone de lente de polimerización de 10 mm, 7 programas de trabajo (entre ellos programa Ortho), luz fluorescente para detectar caries y biofilm, medidor de intensidad de luz en la base de carga y lente de cura de puntos para emisión focalizada.

https://rumarcedeira.com/novedades-aparatologia/

Nuevo escáner facial Shining 3D de Scannice

El nuevo escáner facial de Shining 3D, gracias a sus tres cámaras de adquisición de datos y una cámara de textura HD de 5,0 MP, produce una precisión de escaneo de 50 micrómetros en tan solo 10 segundos.

Fácil e intuitivo, cuenta con la función de alineación automática de los escaneos faciales e intraorales, siendo el complemento perfecto para el escáner intraoral.

www.scannice.com

PrograScan® PS7 de Ivoclar, alta velocidad simultánea

Ivoclar presenta

PrograScan® PS7, el primer escáner de laboratorio de gama alta del sector que puede escanear simultáneamente modelos de maxilar superior e inferior, en solo 10 segundos, de forma totalmente automatizada y en un solo proceso. Para los protésicos dentales, esto significa que pueden completar su trabajo de forma aún más rápida y eficaz con una interacción mínima por su parte.

https://www.ivoclar.com/es_es/products/digitalequipment/prograscan-ps7-lab-scanner

SprintRay anuncia nuevos flujos de trabajo de impresión 3D dental para una integración de extremo a extremo aún más inteligente, que permite a las consultas y laboratorios dentales utilizar soluciones de impresión 3D dental para una Odontología completamente digital, destacando las coronas y los protectores nocturnos.

www.sprintray.com.

HyaDENT BG®: novedad en Salugraft Dental

Hyadent BG® es un gel estéril de ácido hialurónico de alto peso molecular con una concentración al 1,8%, ideal para un óptimo efecto regenerativo. Hyadent BG® permanece en el sitio varias semanas debido a su lenta degradación. Esta presencia prolongada durante el proceso de cicatrización promueve la cicatrización por regeneración y no por reparación. También se protege la herida gracias a las propiedades bacteriostáticas del producto.

https://salugraftdental.com/productos/hyadentbg-acido-huialuronico-cross-linked-de-alto-pesomolecular/

Sistema fotopolimerizable Vita Akzent LC

El sistema fotopolimerizable de maquillajes y glaseado Vita Akzent LC ha sido distinguido como Game Changing Product of the Year 2022. Vita Akzent LC convence por su sencilla manipulación y su efectiva reproducción de todas las facetas cromáticas de los dientes naturales. El sistema sirve para la caracterización extraoral de todas las restauraciones indirectas de composite, polímero y cerámica híbrida.

www.vita-zahnfabrik.com

208 Gaceta Dental · N o 357 | Mayo 2023 PRODUCTOS
O-Star Woodpecker, más que una lámpara de fotocurado
Nuevos flujos de trabajo de impresión 3D dental de SprintRay

CALENDARIO DE CONGRESOS

Calendario de congresos

MAYO 2023

SEGER León del 4 al 6

SEOP Castellón del 11 al 13

SEDCYDO Gijón días 19 y 20

SEMO (Sociedad Española de Medicina Oral) Santiago de Compostela del 25 al 27

SEPA Sevilla del 31 al 3

JUNIO 2023

SEDO Bilbao del 6 al 10

SECOM CYC Cartagena del 15 al 17

JULIO 2023

AIOI España Segovia días 1 y 2

SEPTIEMBRE 2023

SECIB Córdoba del 21 al 23

II Congreso de Alineadores y Nuevas Tecnologías Santiago de Compostela del 21 al 23

FDI World Dental Congress Sídney del 24 al 27

OCTUBRE 2023

SEPES Valencia del 12 al 14

SEOENE Murcia días 27 y 28

NOVIEMBRE 2023

AEDE Tenerife del 2 al 5

SESPO Valencia días 10 y 11

SEOE Valencia día 10

SEMDES Córdoba del 16 al 18

OMD Lisboa del 17 al 19

SEI Tenerife días 24 y 25

FEBRERO 2024

AAMADE Madrid días 9 y 10

SELO Zamora días 23 y 24

MARZO 2024

EXPODENTAL Madrid del 14 al 16

SEOII León del 14 al 16

210 Gaceta Dental · N o 357 | Mayo 2023

Ser original no tiene precio. Seguir siendolo, sólo 199€*

TARIFA PLANA NSK

Tu turbina de la Serie S-Max M como nueva, gracias a la promoción especial Tarifa Plana NSK. Cambia el antiguo rotor de tu turbina por un nuevo rotor original NSK, por sólo 199€* (mano de obra incluida).

Oferta especial válida hasta el 31 de Julio de 2023. ¡Aprovéchala ahora!

NSK Dental Spain S.A. www.nsk-spain.es Módena, 43 · El Soho-Európolis · 28232 Las Rozas de Madrid - tel: +34 91 626 61 28 · fax: +34 91 626 61 32 · e-mail: info@nsk-spain.es
* Los precios no incluyen IVA. Ofertas limitadas hasta el 31 de Julio de 2023.

Oferta

VarioSurg3

• Aplicaciones:

Cirugía Ósea Elevación de Seno Cirugía Periodontal Cirugía Endodóntica

• Tres modos: Cirugía, Endodoncia, Periodoncia (9 programas)

• Modo ráfaga seleccionable

• Intensidad de luz LED regulable

• Modo autolimpieza

• Función de retroiluminación

4.899€* 11.835€*

CON DOBLE LUZ

¡Flash!
DESDE EL 1 DE MAYO HASTA EL 30 DE JUNIO DE 2023
SISTEMA DE CIRUGÍA ULTRASÓNICA
* Los precios no incluyen iva. Ofertas limitadas hasta el 30 de Junio de 2023 o hasta fin de existencias.
Incluido: Kit Básico H-SG1 SG3 SG5 SG6D SG7D SG11
VarioSurg3 REF. Y1002726 MODELO VarioSurg3 REF. E1133001
MODELO
2ª PIEZA
DE MANO CON CABLE

Turn static files into dynamic content formats.

Create a flipbook
Issuu converts static files into: digital portfolios, online yearbooks, online catalogs, digital photo albums and more. Sign up and create your flipbook.