Our City Plantation: July 2024

Page 1


& Dr.

Hormone Therapy: Transforming Lives for Women & Men

FEATURED ON PAGE 12

Dr. Camil Marrero
Talavera

When you fly now, you know it’s extra for everything — that airfare only pretends to be low.

But when a Senior Community offers luxury living for a seemingly-attractive monthly rent, you don’t expect to be Nickel-and-Dimed.

That’s why you’ll never see Nickel-and-Diming at The Palace. Here your monthly rent covers almost everything. Including all your meals, housekeeping, personal trainers, maintenance, and even Happy Hours with drinks and hors d’oeuvres.

You won’t see a long list of extra charges. At The Palace, the price is the price.

Remember when everything about flying was to make you feel special?

That’s how living at The Palace feels today. Call or visit soon to see for yourself.

Style Meets Sustainability: Top Kitchen Renovation Trends of 2024

Curb Appeal on a Budget: Enhancing Your Home’s Exterior

Home Renovations in South Florida That Maximize Your

Christy & Terry

MANAGING EDITOR

Christy Jaillet

ART DIRECTOR

Tom Rowe

GRAPHIC DESIGNER

Alana Brodie

ADVERTISING SALES MANAGER Nancy Koval nancy@ourcitymedia.com

ACCOUNT EXECUTIVES

John Brodie, Denise Caligiuri, Adrienne Collins, Mariem Garcia, Silvia Silva, Kevin Tanke

CONTRIBUTING WRITERS

Jon Duka, Terry Jaillet, Andrea L. Jakob, E.F. Israel, Mayor Nick Sortal, John Wai, Dr. Jennifer Frione

ADVERTISING INFO sales@ourcitymedia.com VISIT

ONLINE ourcitymedia.com

400 Sawgrass Corporate Parkway Suite 200C

The Florida Land Boom 100 Years Later

One hundred years ago, in July 1924, a former citrus farmer set out to make a fortune in a new industry. 38-year-old George Merrick envisioned creating a “City Beautiful” in South Florida, combining architectural harmony, lush landscaping, and modern amenities. The community was meticulously planned with wide, tree-lined avenues, parks, and a strict architectural code that emphasized Mediterranean Revival-style buildings.

Merrick’s vision became Coral Gables, which served as a model for South Florida community development for decades to come. The development of Coral Gables also accelerated the Florida land boom, a time of explosive growth driven by a booming real estate market. This boom ultimately led to the region we know today and contributed, in part, to the Great Depression.

The Florida land boom of the 1920s was a whirlwind of real estate speculation and development with soaring land prices and extensive urbanization. Real estate speculation ran wild. Land prices skyrocketed as investors traded properties, often sight unseen. Planned communities, luxury hotels, and infrastructure projects, such as roads and bridges, sprouted up to cater to the burgeoning population and influx of tourists.

Many people invested their life savings in Florida real estate, often buying land on credit. This influx of capital fueled further development and speculation. The market became saturated with properties. The rapid pace of development outstripped demand, leading to a glut of unsold real estate. A series of devastating hurricanes in 1926 and 1928 caused significant property damage and undermined confidence in Florida’s real estate market.

By the late 1920s, the real estate bubble burst, leaving a trail of shattered dreams. Property values plummeted, leaving investors with staggering losses and unsellable land. The collapse of the Florida land boom reverberated across the national economy. The loss of wealth and the subsequent bank failures cast a shadow over economic activity. Despite the bust, the infrastructure and developments from the boom period laid the groundwork for Florida’s future growth and development.

The Florida land boom of the 1920s serves as a cautionary tale about the dangers of speculative bubbles and the importance of sustainable economic development. Its collapse played a significant role in the chain of events that led to the Great Depression, demonstrating the interconnectedness of local and national economies.

July 2024 Calendar

JULY 4

Independence Day Parade

THE INDEPENDENCE DAY PARADE begins at 9:00 am at the corner of West Broward Boulevard and N.W. 46th Avenue. The parade heads west to N.W. 69th Avenue, turning right on N.W. 4th Street, ending at City Hall with an awards ceremony. The parade route roads will be closed to traffic during the parade, starting at approximately 7:00 am and ending at 11:00 am).

JULY 4

Independence Day Celebration

Celebrate our nation’s birthday with friends, family, and neighbors! The City of Plantation will host festivities all day long. Cool off after the morning parade at the Plantation Aquatic Complex’s Patriotic Pool Day from 10:00 am - 2:00 pm. Cap off the day with evening festivities at Plantation Central Park, beginning at 6:00 pm. There will be a Kid’s Zone, concert featuring Mr. Nice Guy and triumphant fire works display by Zambelli at 9:00 pm. Scan the QR code for more info.

JULY 6

Plantation Farmers Market

Plantation hosts a Farmers Market featuring fresh, certified Organic and non-Organic produce, locally produced honey, homemade hummus, plants and orchids, fresh cut flowers, breads and Danishes, olive oils, cheeses, dips, spreads and more. It is located at Volunteer Park, from 9:00am to 2:00pm, and runs year round. 9:00 am - 2:00 pm at Volunteer Park, 12050 W. Sunrise Boulevard. For more info, call 954-452-2558.

JULY 10

Crime Watch Meeting

Let’s talk about crime trends! Join neighbors and concerned citizens for a one-and-a-half-hour meeting with Crime Prevention Officer Daryl Radziwon. The meeting is free and open to the public. It is held at the Plantation Outreach Center, 8000 W Broward Blvd, #122. For more info, call 954-916-5601.

JULY 12

Daddy/Daughter Dance

Dads and their daughters, ages 6-12, are invited to a Hawaiian Luau dance! Enjoy an evening of music, pizza, and games that will ensure a good time is had by all! The cost is $20 per couple (1 dad, 1 daughter), and $8 per extra daughter. Dance tickets are available June 28th - July 11th at: Plantation Central Park, Plantation Community Center, Jim Ward Community Center and Volunteer Park. For more info call 954-452-2510.

JULY 13-14

Dinosaurs Weekend at Flamingo Gardens

Travel back to the time before the continents as we know them existed, when lush landscapes covered Africa and Antarctica was green! Grab your prehistoric passport and discover how land bridges, volcanic activity, and plate tectonics allowed dinosaurs such as T. rex, Spinosaurus, Hadrosaur, and more to disperse all over the globe, giving each of today’s continents its own unique selection of these giant reptiles. Dinosaur Weekend will include the opportunity to “excavate” fossils and see a movie short in the Gallery, about the evolution of “Dinosaurs Among Us,” or birds, and how they are truly modern-day dinosaurs. Scan the QR code to learn more or book tickets.

July 2024 Calendar

(CONTINUED)

JULY 18-20

2024 U.S. Paralympic Track & Field Team Trials

The Ansin Sports Complex in Miramar will host the U.S. Paralympic Team Trials for track and field. This event will showcase the best Paralympic athletes in the country, culminating in the announcement of the athletes who will represent Team USA at the Paralympic Games in Paris. Scan the QR code for more info or to purchase tickets.

JULY 19

Escape Room at the Library

Test your cleverness and reasoning skills at the Helen B. Hoffman Plantation Library. Will you be able to escape the library? This family-friendly event will be held from 7:00 pm - 8:30 pm and is for ages 8 and up. Registration is requested ahead of time. Sponsored by the Friends of the Library. To register, call 954-797-2145.

JULY 20

TAYTAY DANCE PARTY FEATURING DJ SWIFTIE

Calling all Swifties for the most epic Taylor-themed event. The all-ages Taylor Swift Laser Party is coming to Broward. Immerse yourself in Tay Tay's music provided by DJ Swiftie while surrounded by synchronized lasers and lights. You'll sing and dance to all your favorite Taylor Swift songs for an unforgettable night. For more info and tickets scan the QR code.

JULY 20

Back To School BBQ

Come and get your school supplies! The City of Plantation presents a Back To School BBQ event at the Jim Ward Community Center from 11:00 am – 1:00 pm. Plantation families can get critical supplies needed for their child(ren) to start the school year on the right foot. This will be a community event including FREE school supplies for Plantation residents (must show ID), a BBQ lunch and a family fun day in the park with activities for everyone! For more info, call 954-452-2510.

JULY 22

Zach Bryan in Concert

The singer-songwriter is known for his heartfelt, raw, and emotional music. Bryan's music career gained significant momentum through his self-released albums, which he recorded in a DIY fashion, often using simple recording setups. His debut album, "DeAnn," released in 2019, was named in honor of his late mother and received critical acclaim for its authenticity and lyrical depth. Concert will be held at Amerant Bank Arena. Fore more info or tickets, scan the QR code.

JULY 27

Blake Shelton at the Hard Rock

As one of Country Music’s chief ambassadors, Blake Shelton has been delivering country music to a diverse audience for more than 20 years. The former judge from the hit show “The Voice” will be taking his talents to South Florida at The Hard Rock Casino. The show starts at 8:00 pm. Scan the QR code for more info or tickets.

HORMONE THERAPY: Transforming Lives for Women & Men

Talamarr Optimal Health believes in enhancing the quality of life as we age. With a proactive and personalized approach, our mission is to provide innovative healthcare solutions that promote optimal aging. Our practice is spearheaded by two exceptional physicians, Dr. Camil Marrero and Dr. Idalia Talavera, whose dedication and expertise make a significant difference in our patients’ lives.

Meet Our Experts

Dr. Idalia Talavera, MD, FACOG, is a BoardCertified OB/ GYN serving the Plantation community since 2002. She specializes in minimally invasive surgery, including robotics and office-based procedures, and is trained in hormone replacement therapy for both women and men. Dr. Talavera’s comprehensive obstetrical care includes in-office ultrasounds and blood work. Committed to compassionate, educational, and personalized care, she is an active member of HCA University Hospital in Davie and Westside Regional Hospital, and offers outpatient surgical services.

Dr. Camil Marrero, MD, MPH, FACOG, is a Board-Certified OB/GYN with extensive expertise in Minimally Invasive Laparoscopic Surgery, including the Da Vinci Robotic System. Trained in hormone replacement therapy for both women and men, she provides tailored solutions for hormone-related issues. Dr. Marrero is an active member of HCA University Hospital in Davie and Westside Regional Hospital, specializing in family planning, STD testing, abnormal uterine bleeding, pelvic pain, endometriosis, and hysterectomies (both robotic and open). Additionally, she offers outpatient surgical services and manages menopause symptoms, including vaginal dryness.

Focus on Biote Hormone Therapy

At Talamarr Optimal Health, we recognize that how we age is what truly counts. One of our key offerings is Biote ® Hormone Therapy, an evi-

dence-based approach to hormone optimization that has shown remarkable results in improving patients’ quality of life. Hormone levels naturally decline with age, leading to various symptoms such as low energy, insomnia, decreased libido, brain fog, irritability, depression, hot flashes, and more. Biote ® Hormone Therapy addresses these issues by using bioidentical hormone pellets placed subcutaneously to release a continuous stream of hormones tailored to each patient’s needs.

Who Can Benefit from Hormone Optimization?

Hormone optimization is beneficial for a wide range of individuals, including both women and men. Patients undergoing Biote® Hormone Therapy can expect improvements in endurance, strength, muscle mass, mental clarity, mood, stamina, sex drive, and overall well-being. As one satisfied

Biote ® patient, Dave, shared, “I can’t begin to tell you the difference of how I was six months ago versus how I feel today. The procedure was very simple, very painless, and I began to feel the effects within a couple of weeks.”

Why Choose Biote® Hormone Therapy?

Biote ® Hormone Therapy offers a myriad of benefits for both women and men.

TREATMENTS FOR WOMEN

• Menopausal symptoms such as hot flashes, night sweats, and mood swings

• Low energy levels, insomnia, or decreased libido

• Hormone-related conditions like thyroid disorders

• Risk for osteoporosis or heart disease

• Anxiety, depression, or memory loss due to hormone imbalances

• Overall well-being and vitality.

TREATMENTS FOR MEN

• Symptoms of low libido, low energy, loss of muscle mass, weight gain, or poor sleep

For women, optimized hormone levels can significantly improve quality of life by reducing symptoms associated with menopause, such as hot flashes, night sweats, and mood swings. Additionally, hormone optimization helps in maintaining bone density, thus reducing the risk of osteoporosis, and supports cardiovascular health.

For men, Biote ® Hormone Therapy can alleviate symptoms of low testosterone, including fatigue, weight gain, muscle loss, and decreased libido. Men experiencing hormone imbalances often notice improvements in their physical performance, mental clarity, and emotional stability after starting

Get Started with Biote® Hormone Therapy

• Risk for heart disease, diabetes, or osteoporosis

• High-impact sports-related issues

• Testosterone depletion due to antibiotics, opioids, or anabolic steroid use

• Anxiety, depression, or PTSD

Starting your journey with Biote ® Hormone Therapy at Talamarr Optimal Health is straightforward. Begin by scheduling a consultation to determine your eligibility. Our certified providers will review your personalized care plan, including current hormone, thyroid, and vitamin D levels, and guide you through your treatment options. We are committed to helping you achieve a healthier, more vibrant life through Biote ® Hormone Therapy. As we say, “We are going to age, how we age is what counts.” Join us and discover the benefits of personalized hormone optimization.

Talamarr is located at 1200 N University Drive Plantation, FL 33322. For more information or to schedule a consultation, call 954-368-5181.

Follow Us @talamarroptimal

Top Cadets Honored at Broward Schools JROTC Ceremony; Scholarships Awarded

The 2024 Fort Lauderdale Air Show, held on May 11 and 12, brought excitement and awe to the shores of the Atlantic. This year's event featured an impressive lineup of aerial performers and aircraft that left spectators breathless.

Thunder Thunderbirds and More

Cadet Colonel Addison App of West Broward High School’s JROTC unit was named Broward County Public Schools (BCPS) 2023/24 JROTC Cadet of the Year. He received the Superintendent’s Award of Excellence during a special celebration and Pass in Review ceremony on May 24, 2024, at Pompano Beach High School. App, a member of the Class of 2024, is attending the United States Military Academy after graduation.

In all, seven top cadets were honored and received scholarships worth a combined total of $10,000.

The cadets were evaluated on their academic performance,

demonstrated leadership, community service, school involvement, and JROTC participation. Rounding out this year’s top winners were:

Runner-up

Cadet Rashad Coleman (11th grade), Coconut Creek High School Distinguished Cadets

• Stefanie Morancy (11th grade), Boyd Anderson High School - Entrepreneur Leadership and Military Academy

• Ashley Melo (12th grade), Coral Glades High School

• Marco Reyes (12th grade), Miramar High School

• Gabriel Fonarov (12th grade), Nova High School

• Anthony Clase (12th grade), South Broward High School

In addition to the top winners, one Outstanding Cadet from each BCPS high school was also recognized during the ceremony. BCPS offers the largest JROTC program in the world, with opportunities in every high school and several middle schools.

The 2023/24 school year marked the 50th anniversary of the JROTC partnership between BCPS and the United States Department of Defense, which impacted more than 200,000 JROTC cadets from all four branches of the military.

Addison App

Bui lding a Thriving Community: Insights from Plantation Mayor Nick Sortal

Plantation Mayor Nick Sortal was among 11 mayors from central Broward appearing at the annual Mayor’s Breakfast at the Broward Center for the Performing Arts recently. The event was hosted by Realtors of Broward and Palm Beach.

Mayor Sortal was asked questions specific to Plantation, and here were his answers: What is your hidden gem? Plantation Preserve is one of them. People love golfing there (the city runs it) and it’s a great place for a weekday breakfast or lunch as well as a Sunday breakfast buffet. What are your city’s strengths? We have our own police and 911. We passed limitations on the usage of flex density units to protect the character or our single-family neighborhoods. And we have done the maximum within state guidelines to promote affordable housing and regulate vacation rentals.

What is your city’s business climate?

Class A office is thriving. Over the past couple years, we attracted the national headquarters of Chewy and Jazwares, the brand behind Squishmallows, to Plantation. In fact, Chewy recently launched its new veterinary care concept in Plantation. What else? Well, the standards dictate three acres of parks space for each 1,000 residents. We have 6 acres per 1,000 residents, spread across our 42 parks. Almost every home has a park within a 15-minute walk.

What’s your top accomplishment so far? Many accomplishments take council, public input and multiple departments to complete. So I’m proud that we have a sense of team and people know they’ll be listened to if they speak up. And I’ll add that everyone contributed to the first strategic plan in our city’s history.

Areas for improvement? Our codes need updating, so we are in a massive rewrite. City roads require maintenance; neighborhoods

are rightly complaining. I'd love to help our schools but the city is just one of multiple stakeholders with no control over the school district. ADA improvements are high on our list. And I’d like to see Central Park get a new recreation building.

Sign up for Mayor Sortal’s newsletter via Plantation.org.

Spotlight Shines on Girls and Teens with Disabilities at 11th Annual Miss Arc Broward Pageant

Fifteen young girls and teens with disabilities lit up the stage at the 11th Annual Miss Arc Broward Pageant, sending a powerful message of inclusion and acceptance to the South Florida community. Throughout the pageant season, which began in February, contestants participated in various activities and special events designed to build friendships, self-esteem, and confidence, with 20 teen ambassadors from high schools across Broward County serving as mentors.

This year’s contestants included: Hailey Acevedo, 15, Coral Springs; Halia Allen, 13, Hollywood; Zoe Burgess, 15, Coral Springs; Alyssa Custodio, 16, Coral Springs; Grace Ann Garland, 17, Hollywood; Madison Gerstein, 9, Hollywood; Mikayla Golka, 11, Parkland; Kayla Mills, 16, Hollywood; Nevaeh Myers, 15, Jupiter; Elizabeth Rivera, 12, Weston; Luciana Avella Rodriguez, 9, Pembroke Pines; Nola Schader, 15, Miramar; Alessandra Soto, 16, Hollywood; Kiely Vassar, 6, Fort Lauderdale; and Leila Yates, 13, Pembroke Pines.

Contestants showcased their talents and personalities on stage while the audience cheered, applauded, and waved supportive signs. Mikayla Golka, impressed everyone with her deep knowledge of the Florida Panthers, showing her loyalty as a longtime fan of the NHL hockey team. Kayla Mills sang a song and spoke passionately about advocating for those with "invisible" disabilities. Other contestants displayed their talents in various ways, such as singing, dancing, martial arts, and storytelling.

While everyone was a winner, the spotlight

shone especially bright on 11-year-old Mikayla Golka from Parkland and 16-year-old Kayla Mills from Hollywood, who were crowned Little Miss Arc and Miss Arc Broward respectively. It was an emotional moment for their friends and family in the audience at The Parker.

Since being crowned Little Miss Arc, and with the Florida Panthers competing in the Stanley Cup finals, Golka has been using her platform and super fan status to spread a message of inclusion and acceptance to a national audience with an appearance on ABC’s “Good Morning America” prior to the Panthers’ first game of the finals.

“The Miss Arc Pageant is a unique event that empowers young girls and teens with disabilities to pursue their dreams. It celebrates their amazing abilities and shows that individuals with disabilities deserve opportunities to shine,” said Julie Price, Arc Broward CEO. “We are grateful to our sponsors and volunteers who make this pageant possible and promote greater awareness and acceptance of those with disabilities.”

The Miss Arc Broward Pageant was led by co-chairs Natalie Glusman and Candace Kelly. It was presented by Pediatric Associates and supported by numerous sponsors, including iHeart, The Palmer Family, UKG, Princess Cruises, Joe DiMaggio Children’s Hospital, and more.

Arc Broward offers transformative opportunities for children and adults with disabilities and other life challenges. For more information about Arc Broward’s programs and services, visit arcbroward.com.

Little Miss Arc Mikayla Golka, 11, from Parkland and Miss Arc Kayla Mills, 16, from Hollywood
Contestants in the 2024 Miss Arc Broward Pageant shine on stage
Candace Kelly and Natalie Glusman, co-chairs, Miss Arc Broward Pageant
2024 Miss Arc Broward pageant winners with judges
Photos courtesy of Arc Broward

The Stage is Set: Inside Peters Elementary's Trilingual Drama Club

Peters Elementary is more than just a school, it's a vibrant community hub that values both its students and the families that support them. Through an array of clubs, activities, and events, Peters Elementary ensures there's something for everyone, fostering a sense of belonging and engagement among its members.

Among the offerings at Peters Elementary are several notable clubs that cater to different interests and talents. Students can choose to join the Promise Club, Spanish Club, Trilingual Drama Club, or the esteemed National Elementary Honors Society. These clubs not only provide avenues for personal growth and exploration but also contribute to the broader community through various initiatives and projects.

One particularly captivating club is the Trilingual Drama Club, spearheaded by the dedicated leadership of Mrs. Lissette Boloña, who has been teaching Spanish at Peters since 2010, and Mr. Isaiah Nelson, a teacher specializing in Deaf and hard-of-hearing education. Every Thursday morning, rain or shine, dedicated students – both current and former – convene at the early hour of 6:30 am to immerse themselves in the world of theater.

Under the guidance of Mrs. Boloña and Mr. Nelson, students diligently rehearse scripts in English, Spanish, and American Sign Language (ASL), honing their linguistic and theatrical skills. The commitment extends beyond the student body, with parents, alumni, and friends of Peters Elementary lending their support by sewing costumes, crafting props, and constructing elaborate sets.

Months of tireless effort culminate in the much-anticipated annual school play, staged on the cafeteria's makeshift theater. The productions, ranging from classic tales like "Little Red Riding Hood" and "Snow White and the Seven Dwarfs" to more contemporary adaptations such as "The Little Mermaid" and "Elfis and the Frozonians," showcase the diverse talents and creativity of the Peters community.

The Trilingual Drama Club not only entertains audiences but also serves as a testament to the power of collaboration and inclusivity. Through the medium of theater, students of all backgrounds come together, bridging linguistic and cultural divides to create something truly extraordinary.

As the curtain rises on each performance, it symbolizes more than just a culmination of months of hard work – it represents the spirit of unity and camaraderie that defines Peters Elementary, where every individual is encouraged to shine and contribute to the collective tapestry of success.

Style Meets Sustainability

TOP KITCHEN RENOVATION TRENDS OF 2024

The most popular kitchen trends for 2024 combine style, functionality, and sustainability. If you plan to renovate your kitchen, here are some top trends to consider.

1. Sustainable Materials

Eco-friendly choices are becoming a staple in modern kitchens. In 2024, many homeowners opt for recycled and sustainably sourced materials like bamboo, reclaimed wood, and recycled metal. These materials not only look great but also help reduce your carbon footprint. Additionally, energy-efficient appliances, such as induction cooktops and smart refrigerators, are in high demand. These appliances save energy and can significantly lower your utility bills.

2. Bold Color Palettes

Say goodbye to bland kitchens! This year, bold color palettes are making a splash. Darker hues like navy blue, emerald green, and charcoal are popular for cabinets and accent walls. These rich colors add depth and sophistication to your kitchen. For those who love a pop of color, vibrant, bright yellow or red accents can be added through backsplashes or small appliances, creating a lively and cheerful space.

3. Smart Kitchens

Technology is transforming kitchens into intelligent spaces. Integrated technology, including smart appliances that can be controlled via smartphone apps, is a growing trend. Imagine preheating your oven from your phone or checking the contents of your fridge while grocery shopping. Voice-activated assistants like Amazon Alexa or Google Assistant are also being integrated, allowing hands-free control of kitchen devices.

4. Mixed Materials

Combining different materials is a trend that adds texture and interest to your kitchen. Mixing wood, metal, and stone creates a layered, dynamic look. Contrasting finishes, such as matte and glossy surfaces, add visual appeal and make your kitchen unique.

5. Open Shelving

Open shelving is replacing upper cabinets in many kitchens. This minimalist approach creates a more open and airy feel. Open shelves are not just for storage; they also provide a perfect display space for beautiful dishware, plants, and decorative items, adding a personal touch to your kitchen.

6. Multi-Functional Islands

Kitchen islands are becoming more versatile. In 2024, multi-functional islands designed for cooking, dining, and storage are trending. Some islands even feature built-in seating, making them ideal for casual dining or socializing while cooking.

7. Nature-Inspired Designs

Bringing nature indoors is a popular trend. Natural elements like live plants, natural light, and organic shapes create a calming environment. Earthy tones such as terracotta, sage green, and warm browns can create a cozy, nature-inspired atmosphere.

8. Minimalist Design

Minimalism continues to be a strong trend. Clean lines and uncluttered spaces define this style. Hidden storage solutions, where cabinets and drawers conceal appliances and utensils, help maintain a tidy and sleek appearance.

9. High-Tech Backsplashes

Backsplashes are getting a tech upgrade. Integrated LED lighting provides both functional and aesthetic benefits. Interactive surfaces displaying recipes, videos, and other useful information are becoming more common, making cooking more convenient.

10. Touchless Features

Hygiene and convenience are priorities in 2024 kitchens. Hands-free faucets with motion sensors reduce the spread of germs and make kitchen tasks more manageable. Touchless trash cans that open with a wave of the hand are also popular. These trends reflect a growing emphasis on technology, sustainability, and personalized style, making kitchens more efficient, eco-friendly, and aesthetically pleasing. If you're planning a kitchen renovation, these trends can help you create a beautiful, functional space that suits your needs.

Curb Appeal on a Budget

THAT MAXIMIZE YOUR SELLING PRICE

Improving the look of your home doesn't have to cost much money. You can make your house look fabulous without spending too much with a few simple changes. Here are some easy tips to boost your home's curb appeal on a budget.

1. Fresh Paint

A new coat of paint is one of the easiest ways to refresh your home. You don't have to paint the whole house. Painting the front door a bright, welcoming color can make a big difference. Choose a color that stands out but also matches the rest of your house.

2. Clean & Tidy

A clean yard can make your home look much better. Start by mowing the lawn and trimming overgrown bushes. Remove any weeds and sweep the driveway and walkway. Cleaning your windows can also make a big difference. Sparkling windows make your home look more inviting.

3. Plant Flowers & Shrubs

Adding some colorful flowers and shrubs is an inexpensive way to improve your yard. Choose plants that do well in South Florida's warm climate. You can find many affordable options at local garden centers. Plant flowers in your garden beds and add potted plants on your porch or steps.

4. Add Mulch

Mulch is a simple and cheap way to make your garden look neat and tidy. Spread mulch around your plants and flower beds. It helps to keep weeds away and makes your plants stand out. You can choose from different mulch colors to match your home's exterior.

5. Update House Numbers

Changing your house numbers can give your home a fresh look. Choose stylish and modern numbers that are easy to read from the street. This small change can make a big impact on your home's appearance.

6. Outdoor Lighting

Good lighting can make your home look welcoming and safe. You don't need to spend a lot on fancy lights. Solar-powered lights are a great option because they are easy to install and don't add to your electric bill. Place them along your walkway and around your garden.

7. Decorate the Porch

Your front porch is one of the first things people see. Make it cozy and inviting with some simple decorations. Add a comfortable chair or a bench, colorful cushions, and potted plants. A nice doormat can also add a welcoming touch.

8. Fix and Paint the Fence

If you have a fence, make sure it's in good shape. Fix any broken parts and give it a fresh coat of paint if needed. A well-maintained fence can make your whole yard look better. This is also true with metal fences. An aluminum fence will fade and discolor under the South Florida sun. a nice coat of high quality spray paint can add years to a wll constructed fence.

9. DIY Projects

Many do-it-yourself projects can improve your home's exterior. For example, you can build a simple garden trellis or create a birdhouse. These small projects add charm and personality to your home. Improving your home's curb appeal can be simple and easy. With these simple and affordable tips, you can make your house the best-looking one on the block. Happy home improving!

Home Renovations in South Florida

THAT MAXIMIZE YOUR SELLING PRICE

When it comes to selling your home in South Florida, strategic renovations can significantly enhance its value and attract potential buyers. With the region's unique architectural styles, climate considerations, and buyer preferences, knowing which renovations to prioritize is crucial. Let's explore a few home renovations that can help maximize your selling price in South Florida.

Kitchen Remodeling:

The kitchen is often considered the heart of a home, and a well-designed and updated kitchen can make a significant impact on potential buyers. In South Florida, where outdoor living and entertaining are popular, consider an open-concept design that seamlessly integrates the kitchen with the dining and living areas. Updating countertops, cabinets, and appliances with sleek and modern options can enhance both

the functionality and aesthetic appeal of the space, making it more attractive to buyers.

Outdoor Living Spaces:

South Florida's pleasant climate makes outdoor living spaces highly desirable for homeowners. Invest in creating inviting outdoor areas such as a patio, deck, or screened-in porch that seamlessly blend with the indoor living spaces. Consider adding features like an outdoor kitchen, a pool, or a landscaped garden to enhance the appeal. These additions not only create a relaxing oasis but also add value to your home and increase its overall marketability.

Energy-Efficient Upgrades:

With South Florida's hot and humid climate, energy efficiency is a key consideration for homeowners. Upgrading your home with these features can be an attractive selling point. Install energy-efficient windows and doors to improve insulation and reduce cooling costs. Consider replacing old appliances with energy-star-rated models, which not only save energy but also appeal to environmentally conscious buyers. Adding solar panels to the roof can also significantly increase your home's value, as it demonstrates a commitment to sustainability and offers potential savings on electricity bills.

Bathroom Updates:

Bathrooms are another crucial area of focus for home renovations that can maximize your selling price. Consider updating fixtures, faucets, and lighting to give the space a fresh and modern feel. Opt for neutral colors and timeless designs that appeal to a wide range of buyers. Upgrading the bathroom's functionality, such as adding dual sinks, a spa-like shower, or a luxurious bathtub, can also increase its appeal and overall value.

When it comes to selling your home in South Florida, strategic renovations can be a game-changer. Best strategy: Keep the focus on the kitchen, outdoor living spaces, energy-efficient upgrades, and bathroom updates that can make your home more appealing to potential buyers. Remember to choose renovations that align with the region's climate, architectural style, and buyer preferences to maximize your selling price and attract a broader pool of interested buyers.

Summer Horse Camp!

City

Junior riders of all levels will have a blast this summer developing horsemanship in a safe, fun, and friendly environment. Every week is packed with learning, special events, games, crafts and more. All activities are horse-related, age/skill appropriate, hands-on, and nonstop!

• 9 Weekly Sessions beginning June 12

• 9am-2pm M-F (rain or shine)

• For kids 7 and up

PLANTATION UPDATE

You're likely seeing more color in our parks. The Plantation Parks & Recreation Department has embarked on a yet another public art initiative using benches made out of recycled wind turbines. The city now has 10 of these benches that will be placed at nine of our parks.

If you visit the mural at the Central Park Multi-Purpose Building, you will find two benches already painted by Ivan J. Roque. Other parks include Plantation Woods at the Plantation Community Center, Liberty Tree Park, Volunteer Park, Sunset Park, Plantation Botanical Gardens, Pine Island Park, Jim Ward Park and Seminole Park.

Meanwhile, Parks and Recreation’s Luz Reyes and GIS specialist Maeve Clarke demonstrated the first draft of a dashboard containing city artwork at our May 22 City Council meeting. Each art piece entry includes the artist’s name and background description. The plan is to eventually include artwork throughout the entire city.

Burtons Open: Market on University continues to fill up, with Burtons Grill and Bar celebrating its opening recently. Burtons replaces Carrabba’s, which was destroyed in the 2019 explosion.

There are 19 Burtons Grill locations along the East Coast, including one in Boca Raton. Officials say their Crab Crusted Haddock, Maxx Burger, steaks, and entrée salads are among their most popular fare. They are also known for being food allergy-friendly and their gluten-free menu.

Pollo Campero Opens: Pollo Campero, a quick-service chicken eatery, has opened. Located at 8220 W. Broward Blvd., it is part of a restaurant chain that began in Guatemala in 1971 and now operates in 19 states.

Visitors can access the restaurant via the adjacent Aldi grocer, and my visit on Sunday involved maneuvering through a crowded parking lot. So be patient. The restaurant is open daily from 10 a.m. to 10 p.m.

Get Your Tree City Cling: Sticker-like clings are available to tout Plantation’s status as a Tree City. Show your tree city pride by picking up yours at City Hall, Helen B. Hoffman Library, Plantation Historical Museum, or any of our major community centers: Central Park, Volunteer Park, Plantation Community Center or Jim Ward Center. They are clear, easily movable or removable and can be displayed on any window.

50 Years of Historical Society: I was happy to present a proclamation recognizing the 50th anniversary of the Plantation Historical Society. I am grateful for all their work to support the Plantation Historical Museum.

We also swore in the officers for the year. They are: President Michael Taussig, First VP Tom Patterson, Second VP John Pfau, Treasurer Paulette Kandel, Corresponding Secretary Sue Sharman, Committee Board Member Laura Kinsman and Recording Secretary Peggy Tingle.

The Plantation Historical Society awarded its 2024 Betty Cobb Student Scholarship to Christopher Gayle of Coral Springs Charter School. Christopher logged 107 volunteer hours at the museum.

Florida Citrus Model Train Society President Ken Sargeant thanked the museum for providing the space for the train exhibit that occupies the main area of the museum.

CREATIVE USES FOR LIFE INSURANCE

Arecent study by two non-profits found that a record 102 million American adults either lack life insurance or don't have enough coverage. Misunderstandings about costs and types of policies are major barriers. Even those with life insurance often don't realize how it can support their financial and estate planning goals.

Types of Life Insurance for Estate Planning

About 52% of US adults have life insurance, but 42% feel underinsured, and 37% plan to buy coverage soon. If you're considering life insurance for estate planning, here are two main types:

1. Term Life Insurance: Pays a death benefit if you die within the policy term, usually 10-30 years.

2. Whole Life Insurance: Lasts your entire life and can build cash value over time.

There are also specialized policies for specific needs, such as covering loan balances, final expenses, or insuring two lives.

Life Insurance Perks You Might Not Know About

Life insurance is more than a death benefit for dependents. It offers various perks for different life stages and situations. Here are some creative ways to use life insurance in your estate plan:

1. Funding a Trust: Imagine you have a child with special needs, a niece who dreams of college, or a beloved pet. You can name a trust as the beneficiary to set terms on how the money is used. An irrevocable life insurance trust can also avoid probate and might reduce estate taxes.

2. Paying Taxes and Debts: If you own a small bakery or have a valuable art collection, life insurance can cover your estate's tax payments and debts. This prevents the need to sell these assets, ensuring your loved ones inherit them intact.

3. Equalizing Inheritances: Suppose you have a family vacation home that one child cherishes but the other prefers cash. Life insurance can balance the inheritances. The home goes to one child, while the other receives a life insurance payout of equal value.

4. Making Philanthropic Donations: Passionate about a local animal shelter or community theater? You can name a charity as a beneficiary, ensuring your legacy supports a cause you care about.

5. Paying Final Expenses: Final expense life insurance covers end-of-life costs like funeral and medical bills, which can add up quickly.

How to Fit Life Insurance into Your Estate Plan

Life insurance is valuable for everyone, regardless of life stage or circumstances. It adds flexibility to your estate plan, helping you and your loved ones handle future expenses. If you face a life insurance coverage gap, we can help you find the right policy to fit your needs and budget. Schedule a meeting to see how life insurance can enhance your estate plan.

▸ Andrea L. Jakob, PA is located at 12401 Orange Drive, Suite 219 in Davie. They can be reached at 954-862-1479 or on the at www.jakoblegal.com.

Real Solutions TO HELP KIDS HANDLE BULLIES

Bullying remains a persistent problem in schools, neighborhoods, and playgrounds, affecting countless children. The impact of bullying can be long-lasting, leading to low self-esteem and confidence issues that can carry over into adulthood. However, there is a powerful solution: martial arts. Training in martial arts can arm kids with the right tools to stand up for themselves, both verbally and physically, and effectively handle bullying situations.

Think of it this way: you wouldn't throw your child into deep water and expect them to swim without any prior training. Similarly, you can't expect your child to understand how to handle a bully without proper guidance and preparation. This is where martial arts come into play. Specifically, training in multiple disciplines like Muay Thai and Brazilian Jiu-Jitsu (BJJ) can provide the comprehensive skills needed to face and overcome bullying.

Muay Thai teaches kids how to strike, Brazilian Jiu-Jitsu teaches kids what to do

on the ground, and MMA puts everything together. This combination of skills creates a well-rounded self-defense system, helping kids become comfortable with confrontation. They get pressure tested in these disciplines through live training, where they learn to overcome tough physical challenges and stay calm under stress.

Beyond physical skills, martial arts instill valuable life lessons in children. They learn respect, discipline, and the importance of perseverance. These qualities translate into higher self-esteem and the ability to stand up for themselves in challenging situations. When a child knows they can defend themselves, they exude a natural confidence that deters bullies.

In addition to self-defense, martial arts create a supportive community. Kids train with peers, forming friendships and learning to work as a team. This sense of belonging further bolsters their confidence and emotional well-being.

Martial arts offer a proven way to teach

kids how to handle bullying effectively. By training in disciplines like Muay Thai, Brazilian Jiu-Jitsu, and MMA, children gain the physical and mental tools they need to stand up for themselves. The result is a confident, self-assured child who is bully-proof, and ready to face life's challenges head-on.

John Wai, a Plantation resident, Brazilian Jiu Jitsu Black Belt, and Professional Fight Coach, has operated John Wai Martial Arts in Plantation for 27 years. Visit JohnWaiMartialArts.com.

UNDERSTANDING ANXIETY IN PETS: CAUSES, SYMPTOMS, AND SOLUTIONS

Anxiety is a common issue in pets, affecting their well-being and quality of life. Understanding the causes, recognizing the symptoms, and exploring potential solutions can help pet owners manage and alleviate their pets’ anxiety.

Causes of Anxiety in Pets

1. Separation Anxiety: One of the most prevalent forms of anxiety in pets, especially dogs. Pets become distressed when left alone or separated from their owners.

2. Loud Noises: Thunderstorms, fireworks, and other loud noises can trigger anxiety in pets.

3. Changes in Environment: Moving to a new home, the arrival of a new family member (human or animal), or significant changes in daily routines can cause anxiety.

4. Past Trauma: Pets that have experienced abuse, abandonment, or significant trauma in the past are more prone to anxiety.

5. Medical Issues: Pain, illness, or other medical conditions can contribute to anxiety in pets.

Symptoms of Anxiety in Pets

Recognizing the signs of anxiety is crucial for timely intervention:

Behavioral Changes: Excessive barking, whining, or meowing; destructive behavior like chewing

furniture; and restlessness.

Physical Symptoms: Trembling, panting (in dogs), excessive grooming (in cats), and dilated pupils. Changes in Appetite: Loss of appetite or overeating. Aggression: Increased irritability or aggression towards other pets or people.

Escape Attempts: Trying to escape from the house or yard, even if previously content.

Solutions for Managing Pet Anxiety

1. Behavioral Training: Professional training can help pets learn to cope with anxiety triggers. Techniques include desensitization and counter-conditioning.

2. Create a Safe Space: Designate a quiet, comfortable area where the pet can retreat during stressful situations. This could be a crate, a specific room, or a cozy corner.

3. Regular Exercise: Physical activity can help reduce anxiety levels. Regular walks, playtime, and mental stimulation are beneficial.

4. Consistent Routine: Maintaining a consistent daily routine can provide a sense of security for anxious pets.

5. Anxiety Aids: Products such as anxiety wraps (e.g., Thundershirt), pheromone diffusers, and calming sprays can help soothe anxious pets.

6. Medications: In severe cases, veterinarians may

prescribe anti-anxiety medications. It's essential to consult with a vet before starting any medication.

7. Natural Remedies: Supplements like CBD oil, chamomile, and valerian root may help alleviate anxiety in some pets.

Preventing Anxiety in Pets

Preventive measures can help reduce the likelihood of anxiety developing in pets:

Early Socialization: Exposing pets to various environments, people, and other animals at a young age can reduce anxiety.

Training & Obedience: Basic training and obedience skills provide pets with structure and confidence. Regular Vet Check-ups: Routine veterinary visits can help detect and address potential health issues that may contribute to anxiety.

Conclusion

Pet anxiety is a significant concern that requires attention and care. By understanding the causes and symptoms and implementing effective management strategies, pet owners can help their furry companions lead happier, more relaxed lives. If you suspect your pet is suffering from anxiety, consult with a veterinarian or a professional pet behaviorist to develop a tailored plan for your pet's needs.

Include: Your Name, Email, Phone, and City of Residence. Email entries to: anna@ourcitymedia.com

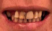
DR. GERMAN L. MURIAS trained in implant dentistry at Harvard University. He has been a fellow of the American Academy of Implant Dentistry since 2002 & a Diplomat of the American Board of Oral Implantology since 2004. He served as an Adjunct Professor at the University of Florida from 2014-2022. He also holds 3 patents for a dental surgical instrument.

DR. ERIC L. MURIAS graduated from NYU College of Dentistry and trained in implant dentistry at Loma Linda University in California. He is a board member of the American Academy of Clear Aligners and is currently a Gold+ Invisalign® provider.

DR. FRANK J. MURIAS a graduate of LECOM School of Dental Medicine in Erie, PA, further enhanced his skills in implant dentistry at NOVA Southeastern University. He is a member of the American Academy of Cosmetic Dentistry and the American Academy of Implant Dentistry (AAID).

Since 1988 Murias Dental has been a pioneer in dental technology with exceptional care to all our patients. Our Dentists have received extensive training, nationwide, in the latest dental innovations. We ensure quality control through our inhouse dental lab.

Our practice offers same-day results* using a combination of cutting-edge imaging and 3D technology to achieve a beautiful result in one appointment.

Using the patients own plasma, we are able to grow bone. This is a modern & innovative procedure for dental implants which we use in our practice frequently. This method is also used by doctors in orthopedic treatment, wrinkle reduction, and hair growth.

As we now expand to Plantation, we are excited to offer our services and invite you to be part of our dental family!

Turn static files into dynamic content formats.

Create a flipbook
Issuu converts static files into: digital portfolios, online yearbooks, online catalogs, digital photo albums and more. Sign up and create your flipbook.
Our City Plantation: July 2024 by Our City Media - Issuu