Giornale dei Biologi

![]()

Ottobre è stato il mese dedicato alla prevenzione del carcinoma mammario Ricerca ed esami di routine restano le armi migliori per combatterlo
Biologi, al via l’alta formazione sul campo di Vincenzo D’Anna
Tumore al seno: l’importanza di non abbassare la guardia di Rino Dazzo
Familiarità ai tumori: il ruolo dei Brca di Rino Dazzo
«Movember»: per gli uomini arriva novembre di Rino Dazzo
La genomica e le nuove frontiere della medicina

Tumori, il canale del potassio KV1.3 bersaglio per ridurre le metastasi di Ester Trevisan
Novelli: “il Nobel 2024 alla scoperta sugli interruttori delle cellule” di Chiara Di Martino
22 Editing genetico: l’innovazione nella proteina TNPB migliora l’efficienza nel taglio del Dna di Carmen Paradiso
Il coenzima Q10: una nuova speranza per contrastare il tumore al polmone di Carmen Paradiso
DDX3X: il guardiano del genoma che protegge dall’instabilità e dalla formazione di tumori di Carmen Paradiso
Uomini e donne colpiti dalle malattie in modo diverso: svelato il motivo di Sara Bovio
Malattie genetiche aumentano con l’avanzare dell’età paterna di Sara Bovio
Animali e natura binomio vincente per il microbioma dei bambini di Domenico Esposito
Con sguardi e carezze si sincronizzano i cervelli di cani e umani di Sara Bovio
Fecondazione assistita: migliorare le tecniche di Carmen Paradiso
Psoriasi: ecco la compressa che migliora la pelle di Domenico Esposito
La miopia dilaga: boom entro il 2050 di Domenico Esposito
Demenza, anche in Italia casi in aumento di Domenico Esposito
Frutta secca e i suoi effetti antiossidanti alla base di prodotti nutraceutici moderni di Carla Cimmino
Il mantenimento di capelli sani parte dalla cura del cuoio capelluto di Biancamaria Mancini
AMBIENTE
Meno bollette, più ambiente. Un valido aiuto nelle piccole isole di Gianpaolo Palazzo
Pregiato o fasullo? Certificato d’identità per il caffè di alta qualità di Gianpaolo Palazzo
Italia paradiso per le nascite delle tartarughe marine grazie alla tutela di Gianpaolo Palazzo
Il ruolo dei biologi ambientali nell’attuazione del principio DNSH di Elena de Luca
L’autunno sta per terminare di Michelangelo Ottaviano
Il fondale mesozoico sotto la dorsale pacifica orientale di Michelangelo Ottaviano
Creazione di nutrienti animali nelle piante di Eleonora Caruso
Il greening dell’Antartide di Eleonora Caruso
INNOVAZIONE
Demenza, nuovo meccanismo molecolare di Pasquale Santilio
Una proteina preserva il genoma cellulare di Pasquale Santilio
Percepire la realtà a livelli superiori di Pasquale Santilio
Una super telecamera per le molecole di Pasquale Santilio
Capitale italiana della cultura 2027: è corsa per 17. A marzo la decisione di Rino Dazzo
Pogacar, Evenepoel e Van Der Poel riscrivono la storia del ciclismo di Antonino Palumbo
Campioni e figli in campo assieme: quando la passione va oltre l’età di Antonino Palumbo
Il nuovo David di Firenze para i rigori di Antonino Palumbo
Maeder-Kampman campioni del mondo di kitefoil di Antonino Palumbo

Endometriosi e gravidanza: la gestione della fertilità di Daniela Bencardino
Mesotelioma: il tumore raro che colpisce il rivestimento degli organi di Daniela Bencardino
Passi avanti sulle informazioni intracellulari nel Parkinson di Cinzia Boschiero
Dinamiche biologiche e tutela della risorsa acqua di Elvira Tarsitano
Si informano gli iscritti che gli uffici della Federazione forniranno informazioni telefoniche di carattere generale dal lunedì al giovedì dalle 9:00 alle ore 13:30 e dalle ore 15:00 alle ore 17:00. Il venerdì dalle ore 9:00 alle ore 13:00
Tutte le comunicazioni dovranno pervenire tramite posta (presso Federazione Nazionale degli Ordini dei Biologi, via Icilio 7, 00153 Roma) o all’indirizzo protocollo@cert.fnob.it, indicando nell’oggetto l’ufficio a cui la comunicazione è destinata.
È possibile recarsi presso le sedi della Federazione Nazionale degli Ordini dei Biologi previo appuntamento e soltanto qualora non sia possibile ricevere assistenza telematica. L’appuntamento va concordato con l’ufficio interessato tramite mail o telefono.
UFFICIO CONTATTO
Centralino 06 57090 200
Ufficio protocollo protocollo@cert.fnob.it
Anno VII - N. 10 ottobre 2024
Edizione mensile di Bio’s
Testata registrata al n. 113/2021 del Tribunale di Roma
Diffusione: www.fnob.it
Direttore responsabile: Vincenzo D’Anna
Giornale dei Biologi
Questo magazine digitale è scaricabile on-line dal sito internet www.fnob.it
Questo numero del “Giornale dei Biologi” è stato chiuso in redazione mercoledì 30 ottobre 2024.

Contatti: protocollo@cert.fnob.it
Gli articoli e le note firmate esprimono solo l’opinione dell’autore e non impegnano la Federazione Nazionale degli Ordini dei Biologi.
Immagine di copertina: © Nemes Laszlo/www.shutterstock.com

di Vincenzo D’Anna Presidente della Federazione Nazionale degli Ordini dei Biologi
Uno dei compiti maggiormente assolti prima dall’Ordine Nazionale dei Biologi (Onb) e poi dalla Federazione Nazionale degli Ordini dei Biologi (Fnob), è quello di garantiresempre gratuitamente - agli iscritti all’Albo un’adeguata formazione e il numero di crediti ECM occorrenti nel triennio di riferimento.
“Formazione sul Campo”, un percorso che prediliga l’esperienza pratica per inserirsi nel campo professionale
quel compito, ossia fornire quella tipologia di servizio. Iscrivemmo allora l’Ordine all’Agenas come “provider” e istituimmo il servizio MyONB. Ancora: implementammo l’area riservata del sito istituzionale (che oggi conta circa cinquantamila iscritti), attraverso la quale si accedeva all’apposita piattaforma “formazione”.
Allorquando assumemmo la responsabilità di presiedere l’Ente di rappresentanza professionale, non trovammo, in realtà, alcun supporto operativo per adempiere a
Ogni iscritto veniva - e tuttora viene - automaticamente iscritto al Diario Formativo dell’Agenzia Sanitaria usufruendo di 30 crediti gratuiti da questa concessi (nel triennio). L’acquisizione dei rimanenti crediti veniva ed è tutto -
ra garantita dal servizio “formare informando” che prevede la sola lettura del Giornale dei Biologi, al quale si aggiungono i crediti forniti da uno degli articoli scientifici pubblicati sullo stesso webmagazine, oltre ai corsi FAD erogati attraverso la citata piattaforma.
Essendo tale organizzazione sufficiente a coprire tutto il fabbisogno annuale e triennale dei crediti che ogni professionista sanitario ha l’obbligo di acquisire, tutti gli eventi proposti dall’ex Onb, oggi Fnob, sono privi del corollario ECM in quanto già soddisfatto per altra via di acquisizione.
tata nel singolo appuntamento di turno quanto di prendervi parte “solo” per accaparrarsi dei crediti previsti.
Un atteggiamento, quest’ultimo, scarsamente professionale, che traduce, in genere, l’interesse ad aggiornarsi in interesse ad accumulare “bonus”.
Strade nuove se ne aprono ogni giorno sempre di più: la genetica, l’epigenetica e la genomica; la tossicologia ambientale, PMA
La mancanza di crediti collegati agli eventi patrocinati dall’Ordine ha pertanto il preciso intento di scartare, fin dall’inizio, la partecipazione di coloro che non hanno interesse alcuna alla tematica trat -
Non a caso la programmazione di tutti gli eventi proposti viene vagliata da un’apposita commissione di esperti che ne valuta preventivamente i contenuti scientifici e l’adeguatezza alla professione, evitando stanche ripetizioni sugli argomenti di “moda” in quello specifico periodo. I numeri di tale attività sono più che eloquenti e soddisfacenti: li potrete leggere in fondo alla pagina di questo editoriale. Vi scoprirete cifre impressionanti! Ma tanto non basta. Quel che oggi,
infatti, la Fnob e la rinnovata Fondazione Italiana Biologi (FIB) si accingono a proporre è la “Formazione sul Campo”, ossia un percorso che prediliga l’esperienza pratica, dando ai “camici bianchi” la possibilità di acquisire gli elementi fattuali di base per inserirsi nel campo professionale di una delle tantissime attività che essi sono chiamati a svolgere.
Attività che, contrariamente a quanto si era sempre ritenuto in passato, spaziano in una molteplicità di segmenti e di opportunità di inserimenti lavorativi come dimostra l’Albero delle Opportunità che è stato pubblicato a suo tempo.
cifica disciplina professionale.
Nasce quindi da questa considerazione il dovere di avviare i giovani verso i nuovi itinerari della professione, quelli che oggi garantiscono maggiori opportunità di inserimento nel mondo del lavoro.
Il futuro e l’innovazione: il biologo manager che opera nei consorzi di laboratorio ove si processano centinaia di migliaia di esami
Intendiamoci: di strade nuove se ne aprono ogni giorno sempre di più per l’ampiezza delle competenze riconosciute ai Biologi (attraverso la legge istitutiva della professione) e grazie allo sviluppo dei campi tradizionali di interesse per la categoria.
Una vastità di impieghi e di strade da percorrere che però, prima di essere “imboccati”, necessitano la conoscenza dei rudimenti di base teorici e pratici di quella spe -
La genetica, l’epigenetica e la genomica; la tossicologia ambientale, la procreazione medicalmente assistita (PMA), la medicina predittiva e personalizzata, la virologia e l’epidemiologia; la biologia marina; la biologia molecolare e l’ingegneria genetica coi metodi
CRISP, la nutrizione detossificante e quella sulla longevità della vita. E ancora: il biologo di comunità, il monitoraggio dell’ambiente e l’economia circolare; il biologo manager nei consorzi di laboratorio ove si processano centinaia di migliaia di esami; i nuovi campi della ricerca biomedica; le biotecnologie nel campo industriale e bio-sanitario. Questo e tanto altro ancora va ad aggiungersi ai già noti percorsi di esercizio della professione.
prossimi mesi. A cominciare dalla Scuola di Genetica e Genomica che sarà istituita presso l’Istituto “Mendel” di Roma, alla quale, previa selezione delle domande e dei curricula, accederanno, gratuitamente, settanta biologi ogni anno!
Taluni settori sono inflazionati: la nutrizione classica e l’insegnamento, che determinano affollamento e scarsa remunerazione
Un cammino, ahinoi, spesso inflazionato in taluni settori come la nutrizione classica e l’insegnamento, che determinano affollamento e scarsa remunerazione per quanti le praticano.
Da questo complesso di cose nasce, dunque, l’esigenza di organizzare la formazione professionalizzante, che prenderà il via nei
A questa esperienza va associata la formazione pratica in bio-agricoltura, tossicologia vegetale e sicurezza alimentare per venti biologi all’anno, già selezionati per il 2024, all’Istituto Agrotecnico del Mediterraneo di Bari.
Ancora, ricordiamo che saranno prossimi all’avvio la Scuola di Bioinformatica (ambito carente di professionisti) presso il Tecnopolo di L’Aquila e quella di Bio-Attività Marine con l’Università di Camerino (con i relativi corsi e/o Master).
Altre scuole apriranno i battenti
nel campo del Restauro dei Monumenti, nel campo della Botanica e dei Parchi Naturali, nella Nutrizione Animale e Zootecnia e infine in quella Umana.
Insomma: un vasto programma messo in campo con un unico scopo: fornire, a chi vuole intraprendere nuovi percorsi, la formazione pratica di base per poterlo fare.
Abbiamo più volte ripetuto che coloro che sono lontani dall’interazione e dall’informazione con i rispettivi Ordini Territoriali (che sono chiamati a svolgere formazione di base teorica) e dalla vita della Federazione/Fondazione sono degli autolesionisti presuntuosi che trasformano l’iscrizione all’Albo da opportunità di tutela e crescita professionale, di inserimento lavorativo, in una semplice tassa da pagare per poter esercitare, spesso
con conoscenze sommarie, la propria professione.
Una scelta che non corrisponde alle aspettative e che quindi questi colleghi addebitano alla dirigenza dell’Ordine.
Altre scuole apriranno i battenti nel campo del Restauro dei Monumenti, della Botanica e dei Parchi Naturali, nella Nutrizione Animale e Zootecnia e infine in quella Umana
Rintanati in gruppi e associazioni chiuse, costoro acquisiscono informazioni per “sentito dire” e, al primo intoppo, cominciano ad elevare lamentele e recriminazioni. Tuttavia, hanno essi stessi creato, per loro incuria ed ignoranza, una condizione che li mette ai margini sia rispetto alle novità sia al miglioramento delle proprie capacità.
Chi guida un Ente non può uniformare i livelli della propria azione verso il segmento più basso della categoria, ma proporre qualità ed eccellenza, varietà ed opportunità nuove.
E così sarà fatto.

Ottobre è stato il mese dedicato alla prevenzione del cancro femminile più diffuso
Prevenzione e ricerca rimangono sempre gli strumenti più efficaci per contrastarlo

Il mese dedicato alla prevenzione del tumore al seno si è appena concluso.
Per tutto ottobre, in tutta Italia, camper, laboratori e ambulatori hanno dato la possibilità a migliaia di donne di effettuare mammografie, ecografie, risonanze e altri test utili a diagnosticare la presenza del cancro. Un nemico subdolo, contro cui è bene non abbassare mai la guardia. Anche se il tasso di mortalità negli ultimi anni è in confortante diminuzione, infatti, i tumori al seno sono sempre al primo posto sia per incidenza sia per causa di morte per cancro nella popolazione femminile di tutto il mondo. Ogni anno nel pianeta si registrano quasi due milioni e mezzo di nuovi casi. Solo in Italia nel 2023 i nuovi casi sono stati 56.870. Si calcola che nel nostro paese una donna su otto sviluppi un tumore al seno nell’arco della vita e questo basta a ribadire, una volta di più, l’importanza della ricerca, sostenuta dalla celebre campagna di sensibilizzazione che ha nel nastro rosa incompleto (che indica come l’obiettivo non sia stato ancora raggiunto) il suo iconico marchio.
Diagnosticare un tumore al seno è relativamente facile: basta una mammografia, anche se in alcuni casi può essere necessaria una risonanza magnetica o l’esecuzione di una biopsia per valutare noduli o formazioni sospette. Il problema è che spesso le forme
iniziali del cancro non provocano dolore, non producono sintomi. I noduli più grandi, riconoscibili all’autopalpazione e localizzati spesso nel quadrante superiore esterno della mammella, sono spesso segni di una forma tumorale già avanzata. Ogni donna dovrebbe prestare attenzione ad alcuni campanelli d’allarme, che possono costituire dei segnali premonitori: cambiamenti della pelle del seno con aspetto a buccia d’arancia localizzato, della forma stessa del seno, alterazioni della forma del capezzolo che si piega in fuori o in dentro, perdite da un capezzolo solo. Occhio anche agli ingrossamenti dei linfonodi ascellari. In assenza di sintomi, il consiglio degli esperti è quello di sottoporsi comunque a una visita presso un medico esperto almeno una volta l’anno, a prescindere dall’età.
Chi ha più possibilità di sviluppare un cancro al seno? Ci sono questioni genetiche (e in questo senso può essere utile effettuare test per la ricerca di mutazioni nei geni BRCA 1 e 2, responsabili di circa la metà delle forme ereditarie di questo tipo di tumori) e altre legate all’età (il rischio aumenta dopo i 50 anni), agli ormoni, al fatto di usare o meno metodi contraccettivi orali come la pillola. Aumentano leggermente il rischio, inoltre, un primo ciclo mestruale precoce (prima dei 12 anni), una menopausa tardiva (dopo i 55) e l’assenza di gravidanze. Altri fattori che

© Komsan Loonprom/shutterstock.com
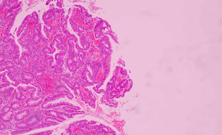
sembrano influenzare e favorire l’emergere di tumori al seno sono il sovrappeso, l’obesità e il consumo di alcol, mentre l’allattamento al seno riduce i rischi. Esistono vari tipi di tumori al seno. I più diffusi sono i carcinomi, originati da cellule epiteliali, che possono essere duttali ((70-80% circa del totale, sviluppatisi dalle cellule dei dotti), lobulari (1015%, originati dai lobuli), tubulari, papillari, mucinosi e cribriformi, meno comuni e con prognosi generalmente favorevole.
L’intervento chirurgico con la rimozione dei tessuti malati è, ancora oggi, lo strumento d’intervento più utilizzato ed efficace. Laddove possibile si ricorre alla chirurgia conservativa, in cui si rimuove solo la parte in cui si trova la lesione salvando il seno, mentre quando è necessario asportare una porzione superiore si parla di mastectomia parziale o totale. Anche in questi casi, comunque, oggi è possibile salvare il capezzolo e la zona areolare mentre sia in caso di chirurgia conservativa sia di mastectomia si può procedere in ogni caso alla ricostruzione del seno, che può essere eseguita anche nel corso dell’intervento stesso di rimozione. Dopo l’intervento si prosegue con la radioterapia

L’intervento chirurgico con la rimozione dei tessuti malati è, ancora oggi, lo strumento d’intervento più utilizzato ed efficace. Laddove possibile si ricorre alla chirurgia conservativa, in cui si rimuove solo la parte in cui si trova la lesione salvando il seno, mentre quando è necessario asportare una porzione superiore si parla di mastectomia parziale o totale.
© sergey kolesnikov/shutterstock.com
adiuvante, che ha lo scopo di proteggere il seno dal rischio di recidive o di ulteriori neoplasie, e in molti casi con l’assunzione di farmaci anticancro, chemioterapia, terapie basate su ormoni e farmaci a bersaglio molecolare, a base di anticorpi monoclonali come trastuzumab e pertuzumab.
In ogni caso l’arma più efficace per contrastare il tumore al seno rimane quella della prevenzione, che si distingue in primaria, secondaria e terziaria. Per prevenzione primaria s’intende la capacità di individuare il tumore immediatamente, attraverso controlli regolari, autopalpazioni e screening. La prevenzione secondaria è invece la diagnosi precoce: il riconoscimento e il trattamento repentino del cancro consente di curarlo meglio e in modo più efficace, col 90% della possibilità di guarigione. La prevenzione terziaria è invece fondamentale per le donne che hanno già dovuto fare i conti con un tumore al seno, contribuendo a limitare il pericolo di sviluppare recidive. Ecco perché le luci rosa che hanno illuminato i nostri monumenti e i luoghi simbolo delle città italiane dovrebbero restare sempre accese.
Come per altri tipi di cancro, anche nell’ambito dei tumori al seno, come abbiamo visto, un ruolo importante è giocato dall’ereditarietà. In questo senso, come accertato dalla ricerca, la mutazione genetica dei geni BRCA1 e BRCA2 aumenta, per le donne interessate, il rischio di sviluppare tumori al seno e all’ovaio. I geni BRCA hanno la funzione di controllare la proliferazione cellulare, riparando i tratti cromosomici danneggiati e garantendo il corretto ripristino del DNA in caso di errori o danneggiamenti. Questo in condizioni normali. La mutazione genetica di questi geni, soprattutto del BRCA1, altera il regolare processo di controllo, favorendo la moltiplicazione anormale e incontrollata di alcune cellule. I meccanismi non sono ancora del tutto chiari, ma le degenerazioni tumorali provocate dalle anomalie dei geni BRCA interessano proprio le cellule del seno e delle ovaie. E questo è il motivo per cui le donne portatrici di queste mutazioni genetiche presentano un rischio superiore alla media di sviluppare questo tipo di cancro nell’arco della vita.
Non tutte le donne interessate sviluppano un tumore alla mammella o all’ovaio, c’è infatti la possibilità che – anche nell’ambito della stessa famiglia – i tumori saltino qualche generazione. E anche questo non è solo un aspetto positivo, visto che rende difficile il riconoscimento dell’ereditarietà dell’anomalia. Si stima che il rischio di sviluppare un tumore della mammella per donne con mutazione genetica dei geni BRCA1 e BRCA2 aumenti fino al 60-70%, mentre per il tumore dell’ovaio il rischio aumenti fino al 20-40%. Come si fa a sapere se si è portatrici della mutazione? Attraverso un test genetico, un comune prelievo di sangue che viene poi analizzato in laboratorio. Spesso il test stesso è prescritto o comunque consigliato dopo che il tumore è stato diagnosticato a un parente stretto, ma

Le mutazioni dei geni preposti al controllo
della proliferazione cellulare e i loro legami con la malattia
può essere eseguito anche a prescindere. L’accertamento dell’anomalia genetica legata ai geni BRCA, naturalmente, favorisce la messa in campo di meccanismi di prevenzione legati al riconoscimento e al trattamento repentino di tumori insorgenti.
Chi scopre di aver sviluppato la mutazione dei geni BRCA1 e BRCA2, naturalmente, proprio in considerazione dell’aumentato rischio di andare incontro a tumori dovrebbe aumentare la frequenza dei normali controlli di prevenzione e monitoraggio: mammografia, ecografia ed eco-color doppler pelvico transvaginale. Ma c’è
anche la possibilità, dietro parere medico, di sommistrare farmaci capaci di contenere e circoscrivere il rischio per alcune forme di tumore. Il rovescio della medaglia? Molto spesso l’effetto collaterale di tali farmaci è lo sviluppo della menopausa precoce. In casi estremi, la portatrice di mutazioni genetiche BRCA può valutare l’asportazione preventiva di seni e ovaie, in modo da ridurre drasticamente il rischio di sviluppare neoplasie. Ovviamente il prezzo da pagare è altissimo dal punto di vista fisico e psicologico e pertanto va soppesato con grande attenzione. (R. D.).

Un mese dedicato alla prevenzione e sensibilizzazione sul tumore alla prostata, il più diffuso in campo maschile
Se ottobre è stato il mese dedicato alla prevenzione in rosa, nei trenta giorni successivi l’attenzione si sposta sui maschietti. Come da tradizione, infatti, novembre è il mese rivolto alla prevenzione maschile, con l’obiettivo puntato soprattutto sul tumore alla prostata, il più comune tra gli uomini, ma anche su altri tipi di neoplasie piuttosto ricorrenti e pericolose come il tumore della vescica e del testicolo. Come le donne a ottobre, anche gli uomini nel corso del mese hanno la possibilità di aderire alle iniziative messe in campo dalle varie associazio-
ni di ricerca, mediche e assistenziali sottoponendosi in tutto il territorio nazionale ad analisi, test e approfondimenti diagnostici mirati. Il simbolo di «Movember», il mese dedicato alla prevenzione della salute maschile, e in particolare del tumore alla prostata, è un bel paio di baffi che sovrastano un nastro azzurro: «Mustacchi a novembre», lo slogan della campagna. Superfluo ma doveroso sottolineare come, anche in campo maschile, la prevenzione e l’accertamento rapido di un eventuale tumore contribuiscano ad aumentare in modo considerevole la buona riuscita del
trattamento di cura: ad oggi il tasso di sopravvivenza a cinque anni per chi ha sviluppato un tumore alla prostata ha raggiunto il 95%, ma molto rimane ancora da fare. Si tratta infatti del tipo di tumore più diffuso nella popolazione maschile, uno scomodo compagno di viaggio per molti. Almeno un uomo su quattro tra i 50 e i 60 anni può presentare cellule cancerose nella prostata, mentre dopo gli 80 anni questa condizione riguarda un uomo su due. I principali fattori di rischio sono legati all’età, all’ereditarietà (il 10% dei pazienti con familiarietà per tumore prostatico presentano mutazioni dei geni BRCA, che abbiamo visto coinvolti nei tumori al seno e all’ovaio), all’obesità e alla propensione a consumare alimenti ricchi di grassi saturi.
I sintomi generalmente compaiono, purtroppo, quando la malattia si è già diffusa oltre la ghiandola preposta alla produzione e all’immagazzinamento del liquido seminale, e comprendono difficoltà a urinare, bisogno di urinare frequentemente, dolore durante la minzione, presenza di sangue nelle urine o nello sperma, sensazione di non riuscire a svuotare completamente la vescica. Questo perché la massa tumorale, crescendo, va ad aumentare le dimensioni della prostata, che finisce col comprimere la vicina vescica. Visite e screening sono caldamente consigliati a partire dai 40 anni di età. La misurazione del PSA, l’antigene prostatico specifico, si esegue attraverso un’analisi del sangue ed è, al pari dell’esplorazione medica, di ecografie, RMN e biopsie, un metodo efficace per diagnosticare la malattia. Il trattamento dipende dall’estensione e dall’aggressività del tumore e può vararie dalla sorveglianza attiva per i tumori a basso rischio alla terapia focale a ultrasuoni, dall’intervento ablativo eseguito con tecniche di chirurgia robotica alla radioterapia, fino all’ormonoterapia e alla chemioterapia. (R. D.).
Prende il via il percorso di alta formazione destinato a 70 biologi dal titolo “La Genomica e le nuove frontiere della medicina”. Il corso nasce dall’intento della FIB (Fondazione Italiana Biologi) e del CNBG (Coordinamento Nazionale Biologi Genetisti, Embriologi e Biologi Molecolari) di promuovere un percorso formativo in Genomica per 70 biologi regolarmente regolarmente iscritti agli Ordini territoriali di appartenenza, mediante strumenti educativi per la diffusione e il miglioramento delle conoscenze sulle tecnologie di scansione del genoma umano. L’obiettivo è di elevare il livello formativo dei professionisti sanitari (quelli attuali e quelli del futuro) diffondendo le competenze di genomica, che rappresenta uno dei settori scientifici più importanti per il nostro futuro e un’opportunità di crescita per il sistema sanitario ed economico-industriale mondiale. L’orizzonte dei biologi che seguiranno il corso sarà rappresentato dalla medicina predittiva e personalizzata. Il corso è stato delineato in modo da trattare i diversi aspetti della Genetica Medica, a partire dalla consulenza genetica pre e post-test, affrontando poi le tecniche della citogenetica, passando per la citogenomica fino ad arrivare alle metodiche più moderne di sequenziamento genomico (NGS) con nuovi approcci analitici bioinformatici. Il corso è gratuito. È richiesto solo un contributo di 20 euro per i diritti di segreteria. Data e luogo del corso Il corso si terrà dal 22 novembre 2024 al 24 maggio 2025 presso l’Istituto CSS-Mendel con sede a Roma. Le lezioni frontali saranno suddivise in sette moduli e saranno seguite da una serie di esercitazioni pratiche per le quali i partecipanti saranno suddivisi in quattro gruppi; tutte le lezioni si svolgeranno di venerdì pomeriggio e di sabato mattina, come da programma allegato. L’Istituto CSS-Mendel metterà gratuitamente a disposizione gli spazi per le attivi -
Dal 22 novembre 2024 al 24 maggio 2025
Istituto CSS-Mendel di Roma
Parte la scuola di alta formazione in genetica e genomica della Fnob, con sede presso l’Istituto Mendel di Roma
tà didattiche teoriche ed i laboratori per le simulazioni pratiche. Iscrizione
Ci si potrà iscrivere fino al 10 novembre attraverso l’area riservata del sito Fnob. I requisiti per l’ammissione sono l’iscrizione all’albo e il possesso di una laurea magistrale in biologia, indirizzo genetico – molecolare o sanitario. Si dovrà scrivere nel campo delle NOTE – durante la compilazione del form di preiscrizione – il titolo di studi che si possiede (Laurea magistrale in Biologia specificando l’indirizzo). Senza questo requisito l’accesso sarà valutato sulla base degli altri titoli, che andranno
sempre scritti nel campo delle NOTE. Si dovrà in contemporanea inviare il proprio CV all’indirizzo corsogenomica@fnob.it, pena la non validità della presentazione della domanda effettuata attraverso l’area riservata. La valutazione dei CV sarà effettuata solo a chiusura delle iscrizioni. Il corso è in partnership con aziende leader mondiali nello sviluppo ed innovazioni tecnologiche in ambito biomedico.
Al termine del corso, a coloro che avranno seguito almeno il 75% delle lezioni, verrà rilasciato un certificato di frequenza ed un attestato di formazione. Per maggiori info, www.fnob.it.
Su Science Advances la ricerca di un team del Dipartimento di Biologia dell’Università di Padova. Ne parliamo con Vanessa Checchetto e Ildikò Szabò, coordinatrici dello studio
Cosa sono i canali del potassio Kv1.3 e quali sono le loro funzioni?
Icanali ionici sono proteine cruciali che regolano il flusso di ioni attraverso le membrane cellulari, mantenendo il potenziale elettrico delle cellule e garantendo il corretto funzionamento di processi come la conduzione nervosa, la contrazione muscolare e la secrezione ormonale. Tra questi, i canali del potassio voltaggio-dipendenti (Kv) rispondono alle variazioni del potenziale della membrana plasmatica per regolare il passaggio degli ioni potassio. Il canale Kv1.3 è altamente espresso sia nel sistema nervoso che in quello immunitario ed è stato dimostrato essere implicato in diverse malattie.
Cosa succede se uno di questi canali va in tilt?
Alterazioni nell’espressione o nella funzionalità di Kv1.3 sono state riscontrate in diverse patologie, tra cui malattie autoimmuni e vari tipi di cancro. In queste condizioni, Kv1.3 non solo favorisce la crescita e la sopravvivenza delle cellule tumorali, ma ha anche un impatto significativo sulle cellule del microambiente tumorale, in particolare quelle del sistema immunitario. In altre parole, un’anomalia in Kv1.3 può promuovere la proliferazione incontrollata delle cellule tumorali e ostacolare la capacità del sistema immunitario di riconoscerle e distruggerle.
Come avete scoperto l’influenza esercitata da Kv1.3 sul comportamento delle cellule tumorali?
Il nostro obiettivo era esplorare in dettaglio l’interattoma di Kv1.3, ossia l’insieme di tutte le proteine con cui questo canale interagisce all’interno delle cellule. L’interattoma è importante perché le proteine non agiscono mai da sole, ma in rete con altre proteine per svolgere le loro funzioni. Comprendere queste interazioni ci aiuta a identificare i meccanismi biologici che influenzano processi complessi, come la crescita tumorale. Per raccogliere questi dati, abbiamo utilizzato una tecnologia chiamata BioID, che ci consente di identificare le proteine che si trovano vicino a Kv1.3 all’interno di cellule intatte in tempo reale. Inoltre, abbiamo utilizzato cellule che sono state modificate geneticamente per non esprimere Kv1.3, per studiare meglio il suo ruolo e le sue interazioni.
Quali sono le principali evidenze scientifiche emerse dalla ricerca?
Il nostro studio ha rivelato che Kv1.3 interagisce con proteine fondamentali per la regolazione della crescita e della sopravvivenza cellulare, come STAT3 e p53, entrambe coinvolte in importanti vie di segnalazione oncogeniche. STAT3 è un fattore di trascrizione che svolge un ruolo chiave nella proliferazione delle cellule e nella risposta immunitaria. Nelle cellule tumorali, è spesso iperattivato, favorendo la crescita e la sopravvivenza delle cellule maligne. Al contrario, p53 è una proteina conosciuta come il “guardiano del genoma” perché può attivare

© Lightspring/shutterstock.com
l’apoptosi, ossia la morte programmata delle cellule difettose. Tuttavia, in molti tipi di tumore, p53 è mutata o non funziona correttamente, consentendo alle cellule tumorali di evitare la morte cellulare e continuare a proliferare. Le nostre scoperte suggeriscono che Kv1.3 possa influenzare questi meccanismi regolatori interagendo con STAT3 e p53. Questa nuova comprensione posiziona Kv1.3 come un potenziale bersaglio terapeutico per future strategie di trattamento del cancro.
Quali scenari terapeutici può aprire questa scoperta per i pazienti oncologici?
Le interazioni proteina-proteina sono bersagli cruciali nella ricerca di nuovi farmaci. Utilizzando tecniche avanzate di screening, è possibile produrre molecole che interrompono queste interazioni, bloccando le vie di segnalazione coinvolte nella crescita tumorale. Inoltre, le terapie a RNA, come siRNA o mRNA modificati, potrebbero silenziare selettivamente l’espressione di Kv1.3, STAT3 o p53, bloccando la proliferazione delle cellule tumorali e ripristinando l’apoptosi. Combinare queste terapie con inibitori delle interazioni proteina-proteina potrebbe offrire nuovi approcci per trattare tumori resistenti, aprendo la strada a terapie oncologiche più efficaci e mirate.
Da chi è composto il team di ricerca?
Il team di ricerca, coordinato in stretta collaborazione dalle sottoscritte, è composto da Elena Prosdocimi, che ha completato il dottorato, e Veronica Carpanese, dottoranda presso il Dipartimento di Biologia dell’Università di Padova. Entrambe, supervisionate da noi, sono le prime autrici di questo studio e hanno dato un contributo essenziale. Al lavoro hanno dato

Il nostro studio ha rivelato che Kv1.3 interagisce con proteine fondamentali per la regolazione della crescita e della sopravvivenza cellulare, come STAT3 e p53, entrambe coinvolte in importanti vie di segnalazione oncogeniche. STAT3 è un fattore di trascrizione che svolge un ruolo chiave nella proliferazione delle cellule e nella risposta immunitaria.
© Explode/shutterstock.com
il loro prezioso contributo anche ricercatori di prestigiosi centri internazionali come l’EMBL di Heidelberg e l’Università di Cincinnati, integrando competenze multidisciplinari per condurre questo progetto in maniera approfondita e innovativa.

Anna Ildikò Szabò ha conseguito la laurea in Biologia e Chimica presso l’Università Eotvos Lorand di Budapest, seguita da un dottorato in Biologia e Patologia Molecolare e Cellulare al Dipartimento di Scienze Biomediche dell’Università di Padova. Attualmente è professore ordinario e coordina l’unità di ricerca sugli organelli bioenergetici presso il Dipartimento di Biologia di Padova.
Vanessa Checchetto, ricercatrice al Dipartimento di Biologia dell’Università di Padova, ha conseguito il dottorato in Biochimica e Biotecnologie. La sua ricerca si concentra sull’interattoma dei canali ionici e le loro implicazioni nelle patologie. Durante la sua carriera, ha ricevuto premi internazionali, tra cui il “Young Investigator Award” e un riconoscimento dall’American Biophysical Society.

Insigniti del celebre riconoscimento ai biologi Victor Ambros e Gary Ruvkun che negli anni ’90 hanno svelato il ruolo cruciale dei microRNA
Non è una novità che ad aggiudicarsi, anche quest’anno, il Premio Nobel per la Medicina siano stati due biologi, perché i vincitori del riconoscimento più ambito al mondo appartengono spesso a questa branca del sapere. La scoperta che ha portato, però, Victor Ambros e Gary Ruvkun - entrambi americani - a salire sul podio più alto della celebre onorificenza riveste una particolare importanza nel mondo della genetica. È grazie ai loro studi sui microRNA – iniziati negli anni ’80, trovando il proprio culmine nel 1993 – che oggi è possibile comprendere i meccanismi di regolazione genica essenziali per tutti gli organismi pluricellulari (uomo incluso). Ambros, che ha conseguito il dottorato al Mit, è oggi professore alla University of Massachusetts Medical School; Ruvkun, con un PhD a Harvard, insegna genetica alla Medical School dell’Università con sede a Cambridge. La motivazione del premio recita: “Per la scoperta del microRNA e del suo ruolo nella regolazione genica post-trascrizionale”. Di cosa parliamo? Ce lo spiega Giuseppe Novelli, ordinario di genetica a lungo Rettore dell’Università Tor Vergata di Roma, e impegnato da oltre 20 anni proprio negli studi sul microRNA.
Prof. Novelli, qual è stata la genesi di questa scoperta?
Tutto è cominciato da un vermetto. Ambros e Ruvkun, insieme a un altro premio No-
bel, Robert Horvitz, studiarono lo sviluppo dei tessuti e delle cellule nei vermi nematodi (C. elegans), organismi di 1 millimetro e di 959 cellule, di cui molte specializzate, un modello semplice e proprio per questo facile da studiare. Fu così che si resero conto di trovarsi di fronte a un nuovo meccanismo di regolazione genica. Quello che avevano osservato, i microRNA appunto, si legavano a specifiche sezioni di mRNA e ne annullavano la traduzione in proteine
Quanto è stato importante per la biologia?
È stata una scoperta straordinaria. E ci tengo a porre l’accento sul fatto che i premi Nobel intercettano esattamente quegli studi – anche apparentemente non eclatanti o addirittura inizialmente avversati - che, con il senno di poi, hanno aperto la strada a qualcosa di grande. È proprio il caso del microRNA(miRna), una chiave fondamentale per comprendere un concetto rimasto a lungo misterioso per la biologia e cioè: sappiamo che le cellule sono tutte diverse. Quelle del fegato, dei polmoni, del cuore, sono diverse tra loro, tanto per fare un esempio. Il loro ‘libretto di istruzioni’, e cioè il Dna, però, è sempre lo stesso. Come fanno, allora, a differenziarsi? Lo fanno proprio attraverso i microRNA, una copia dell’RNA messaggero di cui il Dna si serve per costruire proteine. Ma se i messaggi fossero tutti uguali, lo sarebbero anche le cellule. La regolazione genica permette a

ogni cellula di selezionare soltanto le istruzioni più rilevanti per il suo ruolo. Quanti ce ne sono?
Oggi ne conosciamo migliaia. I microRNA sono piccole molecole di RNA che non portano alla formazione di proteine (compito, invece, dell’RNA messaggero) che possono essere chiamate ‘interruttori delle cellule’. Sono praticamente dappertutto: in tutti gli organismi multicellulari, quindi nei funghi, nelle piante e naturalmente nell’uomo (ma non nei batteri, che sono organismi unicellulari). Hanno almeno 50 milioni di anni, sono fatte di geni troppo piccoli per formare proteine ma devono essere simili all’RNA per poterlo riconoscere. Perché parla di ‘interruttori’?
I microRNA sono i responsabili della regolazione genica, o meglio di quello che chiamiamo ‘silenziamento genico’, funzionale alla differenziazione delle proteine: esprimere un determinato gruppo di geni in un contesto e di silenziarne altri. I microRna bloccano gli Rna messaggeri in modo specifico impedendo la formazione di proteine, agendo indirettamente come interruttori dei geni. È come un’orchestra: le cellule devono ‘suonare’ differentemen-


I premi Nobel intercettano esattamente quegli studi che, con il senno di poi, hanno aperto la strada a qualcosa di grande. È proprio il caso del microRNA(miRna), una chiave fondamentale per comprendere un concetto rimasto a lungo misterioso per la biologia e cioè: sappiamo che le cellule sono tutte diverse.
te, perciò abbiamo sviluppato i silenziatori, che regolano i diversi ‘strumenti’. Se le cellule ‘suonassero’ tutte insieme, ci sarebbe solo una gran confusione. Questo sistema non può infatti essere disregolato, altrimenti non funziona.
E cosa succede se non funziona?
Si genera anarchia, come nel caso dei tumori, che si sviluppano quando una cellula non fa più il suo mestiere, e questo accade perché i silenziatori sono alterati. Da quando sono stati scoperti, infatti, i microRNA vengono studiati come biomarcatori nei tumori, ma anche in altre malattie come l’aterosclerosi, il diabete, l’obesità e alcune patologie psichiatriche. Anche nel Covid-19, abbiamo trovato microRNA alterati nella saliva dei pazienti. In questo momento, con il mio gruppo di ricerca stiamo cercando il sistema per distinguere le cellule infettate da quelle non infettate, che sarebbe una vera rivoluzione per cure mirate e riduzione degli effetti off-target.
Quali implicazioni ha tutto questo?
Enormi, nella diagnostica e nella terapia di molte malattie. In futuro i microRNA potranno essere gli attori protagonisti di una medicina personalizzata.

Il ricercatore, morto all’età di 28 anni, ha dedicato la sua vita alla divulgazione: sono solo 130 i casi di invecchiamento precoce riconosciuti nel mondo, quattro in Italia
Ricercatore forte e coraggioso. Animo nobile e gentile, ma profondamente battagliero. E un sorriso da regalare al mondo, sempre e nonostante tutto. Questo è Sammy Basso, biologo veneto affetto da progeria e stroncato da un malore improvviso all’età di 28 anni, mentre si trovava a un matrimonio di amici. No, non è stata la malattia ad avere la meglio. Lo ha rimarcato lo stesso Sammy attraverso una toccante lettera-testamento che aveva scritto per il giorno del suo funerale. Perché sapeva che quel momento prima o poi sarebbe arrivato. “La progeria ha segnato profondamente la mia vita e le mie scelte - ha confessato -. In molti diranno che ho perso la mia battaglia contro la malattia. Non ascoltate! Non c’è mai stata nessuna battaglia da combattere, c’è solo stata una vita da abbracciare per com’era, con le sue difficoltà, ma pur sempre splendida, pur sempre fantastica”.
In questo messaggio è racchiusa tutta la grandezza di Sammy, che ha dedicato la sua vita alla ricerca. Per sé, ma soprattutto per gli altri. Perché se oggi la progeria non è più una patologia sconosciuta ai più, lo si deve principalmente al suo impegno in campo scientifico, al suo desiderio di lasciare il segno per provare a far luce su quella che è una malattia genetica rarissima. Già, nel mondo sono ufficialmente riconosciuti solo 130 casi di progeria classica, anche conosciuta come sindrome di Hutchinson-Gilford, di cui quattro in Italia. Pur essendo un numero sottostimato dal momento che soprattutto nei Paesi del terzo mondo risulta complicato rintracciare persone affette da progeria, si fa comunque riferimento a una patologia che, secondo le attuali stime, può arrivare a un massimo di 350 casi. Per intenderci: parliamo di una malattia talmente rara da colpire un soggetto ogni otto milioni di nati e ha un’incidenza nel mondo di una persona ogni 20 milioni. Ecco, allora, che il lavoro svolto in vita da Basso e la sua eredità acquisiscono un valore ancora più prezioso, da custodire e approfondire. La scienza prosegua nel solco tracciato da Sammy, che nel 2005 con i suoi genitori fondò l’Associazione Italiana Progeria Sammy Basso, la prima e l’unica in Europa a occuparsi della sindrome.
Laureatosi nel 2018 all’Università degli Studi di Padova in Scienze Naturali, con una tesi finalizzata a dimostrare la possibilità di curare la progeria tramite ingegneria genetica, nel 2021 si specializzò in Molecular Biology, sempre presso lo stesso ateneo, con una tesi incentrata sulla cor-

Nel mondo sono ufficialmente riconosciuti solo 130 casi di progeria classica, anche conosciuta come sindrome di Hutchinson-Gilford, di cui quattro in Italia. Pur essendo un numero sottostimato dal momento che soprattutto nei Paesi del terzo mondo risulta complicato rintracciare persone affette da progeria, si fa comunque riferimento a una patologia che, secondo le attuali stime, può arrivare a un massimo di 350 casi. Parliamo di una malattia talmente rara da colpire un soggetto ogni otto milioni di nati e ha un’incidenza nel mondo di una persona ogni 20 milioni.
relazione tra progeria e infiammazione. Il biologo vicentino ha saputo shakerare in maniera perfetta il suo essere diventato volto noto (e sorridente) della tv, tanto da calcare anche il palcoscenico dell’Ariston in occasione del Festival di Sanremo del 2015 condotto da Carlo Conti, alla necessità di apprendere e divulgare. Una mente brillante, da 110 e lode. Che nel 2019 gli valse la nomina di Cavaliere dell’Ordine al Merito della Repubblica Italiana con motu proprio del Capo dello Stato Sergio Mattarella e che ha saputo conquistato pure Papa Francesco. Scomparso all’età di 28 anni, dopo essere riuscito a superare nel 2019 un intervento molto rischioso e delicato per la sostituzione della valvola aortica (non era mai stata eseguita un’operazione del genere su un paziente affetto da questa patologia), è stato il più longevo malato di progeria, malattia genetica caratterizzata da un invecchiamento precoce.
La progeria è causata da una mutazione nel gene LMNA presente nel DNA, che porta a problemi nella produzione della lamina nucleare, una proteina di fondamentale importanza per la struttura del nucleo cellulare. I pazienti che ne sono affetti nascono sani, ma già dopo il primo anno di vita iniziano inesorabilmente a mostrare un’accelerazione dei processi di invecchiamento con un’aspettativa di vita che si attesta intorno ai 20 anni (addirittura di 13,5 anni in mancanza di trattamenti). La sindrome non va a intaccare la mente, che resta l’unico indice della vera età del malato, ma provoca nel bambino l’insorgere di malattie che sono tipiche degli anziani, come quella coronarica. I sintomi della progeria sono diversi e influiscono - purtroppo tanto - sulla qualità della vita di chi ne soffre, come evidenziato sul sito dell’Associazione Italiana Progeria Sammy Basso: dai problemi di osteoporosi, osteolisi e artrite ai difetti delle capsule articolari, quindi ritardo nella crescita e nello sviluppo, anomalie della cute, alopecia e problemi al cuore e ai vasi sanguigni come occlusioni dei vasi principali, stenosi delle valvole cardiache, ictus e infarto. Questi sono i motivi per cui si parla di invecchiamento precoce quando si fa riferimento alla progeria di Hutchinson-Gilford. In tal senso, grazie al suo impegno, alla sua irriducibile determinazione, Sammy è stato, è e continuerà a essere un faro. Con la speranza che la scienza riesca quanto prima a compiere passi da gigante su una malattia che potrebbe rivelare anche indizi rilevanti sul normale processo di invecchiamento. (D. E.).

Un team svizzero sviluppa una versione avanzata di TnpB capace di correggere difetti genetici, aprendo la strada a terapie geniche più sicure ed efficienti
Un nuovo traguardo nell’editing genetico è stato raggiunto grazie all’innovazione nella proteina batterica
TnpB, un’antenata delle proteine Cas del sistema CRISPR-Cas, utilizzata per modificare il DNA. Il team di ricerca, guidato da Gerald Schwank dell’Istituto di farmacologia e tossicologia dell’Università di Zurigo (UZH) insieme ai colleghi dell’ETH di Zurigo, ha sviluppato una versione migliorata di TnpB, aumentando notevolmente l’efficienza di questa proteina. Il loro studio, pubblicato su Nature Methods, dimostra che la nuova versione della proteina è capace di quadruplicare la sua capacità di tagliare il DNA in punti specifici, aprendo nuove possibilità terapeutiche. Un esempio è la correzione del difetto genetico responsabile dell’ipercolesterolemia familiare, una malattia ereditaria che provoca elevati livelli di colesterolo nel sangue.
Questa malattia genetica colpisce circa 31 milioni di persone a livello mondiale aumentando il rischio di sviluppare malattie aterosclerotiche a esordio precoce. I ricercatori sono riusciti a ridurre di quasi l’80% il livello di colesterolo nei topi trattati. L’obiettivo dei ricercatori è sviluppare strategie di editing genetico simili per curare gli esseri umani. Questa scoperta rappresenta un passo avanti verso terapie geniche più efficienti e meno invasive. Una delle caratteristiche di TnpB è la sua dimensione ridotta rispetto alle proteine del sistema CRISPR-Cas9, il che ne permette il trasporto in una singola particella virale, riducendo la necessità di dosi multiple e semplificando il processo terapeutico.
TnpB ha origine dal batterio Deinococcus radiodurans, scoperto per la prima volta negli anni ‘50, noto per la sua resistenza a condizioni ambientali estreme come radiazioni e vuoto. Soprannominato “Conan il batterio” per la sua capacità di sopravvivenza, ha una proteina ideale fornita per l’editing genetico. Può infatti ricomporre frammenti di DNA a seguito di gravi lesioni come quelle causate dalle radiazioni, riuscendo a mantenere la funzionalità cellulare anche dopo esposizioni che distruggerebbero il genoma di quasi tutti gli altri organismi viventi.
È considerato come uno degli organismi più resistenti al mondo. Sebbene studi precedenti abbiano dimostrato che TnpB poteva essere usato per modificare il DNA nelle cellule umane, l’efficienza iniziale era limitata. La nuova versione della proteina sviluppata dagli scienziati svizzeri

TnpB ha origine dal batterio Deinococcus radiodurans, scoperto per la prima volta negli anni ‘50, noto per la sua resistenza a condizioni ambientali estreme come radiazioni e vuoto. Soprannominato “Conan il batterio” per la sua capacità di sopravvivenza, ha una proteina ideale fornita per l’editing genetico. Può infatti ricomporre frammenti di DNA a seguito di gravi lesioni come quelle causate dalle radiazioni, riuscendo a mantenere la funzionalità cellulare anche dopo esposizioni che distruggerebbero il genoma di quasi tutti gli altri organismi viventi. © Blue bee/shutterstock.com
migliora notevolmente la capacità di riconoscere i siti target nel DNA, rendendola una valida alternativa al sistema CRISPR-Cas9. Quest’ultimo presenta limitazioni strutturali dovute alla grande dimensione delle proteine Cas, che richiedono l’uso di più particelle virali per essere trasportate.
I sistemi CRISPR-Cas, costituiti da complessi proteici e molecole di RNA guida, si sono evoluti come meccanismo di difesa adattativa nei batteri, consentendo loro di riconoscere e neutralizzare i virus. Le dimensioni ridotte di TnpB consentono di veicolare la proteina in una singola particella virale, semplificando il processo e riducendo la quantità di vettore virale necessaria. Ciò potrebbe portare a terapie geniche più sicure ed efficienti, un fattore cruciale nel trattamento delle patologie genetiche. Ad esempio, una mutazione genetica responsabile di una malattia può essere invertita o corretta per riportare il DNA alla sua normale configurazione funzionale. Negli studi condotti sui topi, l’applicazione di TnpB ha portato a una riduzione dell’80% dei livelli di colesterolo nel sangue, aprendo la strada a future ricerche nell’ambito delle terapie geniche per gli esseri umani.
Uno degli aspetti più innovativi della ricerca è l’uso dell’intelligenza artificiale per migliorare l’efficienza di TnpB. Il modello sviluppato è in grado di prevedere l’efficacia di TnpB in diversi scenari, facilitando e accelerando la progettazione di esperimenti di editing genetico di successo. Gli scienziati hanno utilizzato un modello di intelligenza artificiale per testare la proteina su oltre 10.000 siti target del DNA, ottenendo un’efficienza di editing del 75,3% nel fegato e del 65,9% nel cervello dei topi. Questi risultati rappresentano un grande passo avanti rispetto alle versioni precedenti di TnpB. Le prospettive future dell’uso di TnpB come nuova “forbicina molecolare” potrebbero consentire di correggere difetti genetici alla radice e fornire trattamenti per una vasta gamma di malattie ereditarie. Inoltre, le dimensioni compatte di TnpB potrebbero ridurre le dosi necessarie per il trattamento, migliorando ulteriormente la sicurezza delle terapie. Sebbene i risultati ottenuti nei modelli murini siano incoraggianti, sono necessari ulteriori studi prima che questa tecnologia possa essere applicata in ambito umano. Tuttavia, l’elevata efficienza e versatilità della proteina TnpB costituiscono una base promettente per lo sviluppo di future terapie geniche.

Una scoperta italiana svela il potenziale del coenzima Q10 nel limitare le metastasi polmonari, aprendo nuove prospettive terapeutiche per il trattamento del carcinoma mammario
Il coenzima Q10, da tempo noto per le sue proprietà antiossidanti e anti-invecchiamento, è un componente fondamentale di molti prodotti cosmetici, impiegato per contrastare i segni del tempo. Tuttavia, una recente scoperta lo pone al centro dell’attenzione per una nuova e ancor più cruciale funzione: la sua capacità di limitare l’aggressività delle cellule tumorali e impedire la formazione di metastasi nei polmoni, in particolare nei casi di cancro al seno. Questo studio apre una nuova strada per lo sviluppo di trattamenti innovativi che potrebbero cambiare la storia di uno dei tumori più diffusi al mondo.
La ricerca è stata condotta da un team italiano di eccellenza, guidato dall’Università di Padova e pubblicata sulla prestigiosa rivista Nature Communications. Gli studiosi hanno esaminato oltre 2000 pazienti affette da carcinoma mammario a vari stadi di sviluppo, i risultati ottenuti hanno fatto luce su un nuovo ed inaspettato bersaglio terapeutico. Lo studio ha visto il contributo di numerosi istituti di ricerca, tra cui l’Istituto Oncologico Veneto, l’Università di Torino, l’Istituto di Ricerca Pediatrica ‘Città della Speranza’ di Padova e l’Istituto Europeo di Oncologia di Milano.
Secondo Massimo Santoro, che ha coordinato i ricercatori, la scoperta più sorprendente riguarda l’enzima Ubiad1, responsabile della produzione del coenzima Q10 all’interno delle cellule. «Abbiamo scoperto che la perdita di questo enzima favorisce lo sviluppo e la progressione delle forme più aggressive del tumore al seno», spiega Santoro. La perdita dell’Ubiad1, quindi, non solo accelera la crescita tumorale, ma facilita anche la diffusione delle cellule maligne, portando alla formazione di metastasi.
Il coenzima Q10, noto anche come ubichinone, svolge un ruolo cruciale nel metabolismo cellulare. È fondamentale per la produzione di energia nelle cellule e ha potenti proprietà antiossidanti, proteggendo le cellule dallo stress ossidativo. Tuttavia, il suo potenziale si estende ben oltre le funzioni metaboliche: lo studio ha dimostrato che questo composto può influenzare la rigidità delle membrane cellulari, rendendole meno elastiche e quindi più vulnerabili all’eliminazione da parte del sistema immunitario. Questo effetto si rivela particolarmente importante nelle cellule tumorali, che tendono a proliferare in modo incontrollato proprio grazie alla loro capacità di adattarsi e di migrare attraverso i tessuti.
In altre parole, il coenzima Q10, ripristinando

Massimo Santoro, che ha coordinato i ricercatori, la scoperta più sorprendente riguarda l’enzima Ubiad1, responsabile della produzione del coenzima Q10 all’interno delle cellule. «Abbiamo scoperto che la perdita di questo enzima favorisce lo sviluppo e la progressione delle forme più aggressive del tumore al seno», spiega Santoro. La perdita dell’Ubiad1, quindi, non solo accelera la crescita tumorale, ma facilita anche la diffusione delle cellule maligne, portando alla formazione di metastasi.
© photo_gonzo/shutterstock.com

la normale rigidità delle membrane cellulari, limita la capacità delle cellule tumorali di diffondersi ad altri organi, come i polmoni, riducendo così il rischio di metastasi. Questo meccanismo di azione apre prospettive interessanti per nuovi approcci terapeutici, soprattutto per le forme di cancro al seno più aggressive, che sono spesso difficili da trattare con i metodi attuali.
La scoperta non si limita solo alla comprensione del ruolo del coenzima Q10 nella lotta contro il cancro, ma suggerisce anche un nuovo approccio terapeutico. Gli esperimenti condotti dai ricercatori italiani hanno dimostrato che la reintroduzione del gene che codifica per l’enzima Ubiad1, o la somministrazione di coenzima Q10, è in grado di limitare l’aggressività delle cellule tumorali. Questo trattamento potrebbe, quindi, rappresentare una nuova arma nella prevenzione della diffusione metastatica, migliorando la prognosi per molte pazienti affette da cancro al seno.
La capacità del coenzima Q10 di rendere le membrane delle cellule tumorali meno flessibili, favorendone l’eliminazione, rappresenta un importante passo avanti nella comprensione dei meccanismi che regolano la metastasi, un processo ancora poco conosciuto e difficile da controllare.
Oltre alle implicazioni oncologiche, il coenzima Q10 è già noto per i suoi benefici nella salute cardiovascolare e nel miglioramento delle funzioni cellulari. La sua presenza nei mitocondri, le centrali energetiche delle cellule, lo rende essenziale per il corretto funzionamento di vari organi e tessuti, in particolare cuore e muscoli. L’integrazione di coenzima Q10 è stata spesso consigliata a persone che soffrono di malattie cardiache o che assumono farmaci come le statine, che ne riducono i livelli naturali nell’organismo.
Il prossimo passo per i ricercatori sarà quello di approfondire ulteriormente questi risultati, verificando l’efficacia della somministrazione di coenzima Q10 in studi clinici su larga scala. Se confermati, questi dati potrebbero portare allo sviluppo di nuovi farmaci che, sfruttando le proprietà antitumorali del coenzima Q10, migliorerebbero notevolmente le terapie attualmente disponibili per le pazienti con carcinoma mammario.
In un’epoca in cui la ricerca scientifica sta facendo passi da gigante nella comprensione dei meccanismi alla base del cancro, scoperte come questa ci avvicinano sempre di più a soluzioni concrete per combattere le forme più aggressive della malattia. (C. P.).
Una scoperta italiana rivela il ruolo cruciale della proteina DDX3X nella regolazione degli R-loops e apre nuove strade per terapie anticancro

Il nostro DNA rappresenta il cuore del nostro patrimonio genetico, la matrice che determina ogni singola funzione del nostro corpo. Tuttavia, esso è costantemente esposto a minacce che possono alterarne l’integrità e provocare danni irreversibili. La proteina DDX3X, oggetto di uno studio condotto da un gruppo di ricercatori italiani, ha mostrato di essere uno dei guardiani principali di questo codice vitale, capace di preservare la stabilità genomica e di aprire nuove possibilità per terapie anticancro. La scoperta, condotta dall’Istituto di Genetica Molecolare “Luigi Luca Cavalli-Sforza” del Consiglio Nazionale delle Ricerche (CNR) di Pavia, è stata pubblicata sulla rivista scientifica Nucleic Acids Research e sostenuta dalla Fondazione Airc. Il team di scienziati, guidato da Giovanni Maga, con Massimiliano Secchi come primo autore, ha messo in luce il ruolo cruciale della proteina DDX3X nella rimozione dei filamenti di RNA che, se presenti in eccesso, possono destabilizzare il genoma e aumentare il rischio di trasformazione delle cellule sane in tumorali.
Una delle principali funzioni di DDX3X, come rilevato dallo studio, è la capacità di agire sugli R-loops, strutture ibride formate dall’accoppiamento di un filamento di DNA e uno di RNA. Queste strutture, se mantenute in equilibrio, svolgono funzioni fondamentali nella regolazione dell’espressione genica. Tuttavia, quando gli R-loops si accumulano in modo incontrollato, possono portare a instabilità genomica, mutazioni e, in alcuni casi, favorire lo sviluppo di tumori.
«Nella nostra ricerca abbiamo scoperto che la proteina DDX3X agisce rimuovendo il filamento di RNA degli R-loops e degradandolo, tenendone sotto controllo la quantità», afferma Giovanni Maga, direttore del Dipartimento di Scienze Biomediche del CNR. Questo processo di rimozione è essenziale per evitare che l’eccesso di RNA possa interferire con la corretta funzionalità del DNA e aprire la strada a trasformazioni cellulari potenzialmente tumorali. Un aspetto interessante della ricerca è stata la scoperta della capacità di DDX3X di interagire con altri enzimi che contribuiscono al mantenimento dell’integrità genomica. In particolare, la proteina si lega all’enzima RNasiH2, noto per la sua capacità di degradare i filamenti di RNA negli R-loops e contribuire alla ricostituzione della normale doppia elica del DNA. Questa collaborazione tra DDX3X e RNasiH2 è fondamentale per garantire che il DNA rimanga integro e stabile. Senza l’intervento di DDX3X, gli R-loops

«Nella nostra ricerca abbiamo scoperto che la proteina DDX3X agisce rimuovendo il filamento di RNA degli R-loops e degradandolo, tenendone sotto controllo la quantità», afferma Giovanni Maga, direttore del Dipartimento di Scienze Biomediche del CNR. Questo processo di rimozione è essenziale per evitare che l’eccesso di RNA possa interferire con la corretta funzionalità del DNA e aprire la strada a trasformazioni cellulari potenzialmente tumorali.
© Volha_R/shutterstock.com

potrebbero accumularsi, portando a una serie di eventi molecolari che possono alterare la funzionalità del genoma e indurre l’insorgenza di tumori. «L’espressione di DDX3X è alterata in molti tipi di tumore», aggiunge Maga, «e tra le numerose funzioni svolte da questa proteina ve ne sono alcune importanti nella trascrizione e nella risposta immunitaria». Questo suggerisce che DDX3X potrebbe avere un ruolo chiave non solo nella regolazione del DNA, ma anche nel potenziamento delle difese naturali del nostro corpo contro il cancro. La scoperta del ruolo essenziale di DDX3X nella regolazione degli R-loops apre scenari promettenti per lo sviluppo di terapie anticancro. Secondo i ricercatori, manipolare l’attività di questa proteina potrebbe rappresentare una strategia efficace per prevenire o contrastare la formazione di tumori. Se si riuscisse a regolare correttamente la funzione di DDX3X, mantenendola attiva nei momenti critici, si potrebbe evitare l’eccessiva formazione di R-loops e, di conseguenza, prevenire l’instabilità genomica che porta alla trasformazione cellulare tumorale. Un approccio possibile potrebbe consistere nello sviluppo di farmaci che potenzino l’azione della proteina o che ne impediscano la disattivazione in quei pazienti in cui l’espressione di DDX3X è alterata. Questo rappresenterebbe una svolta significativa nel trattamento dei tumori, poiché agirebbe a monte del processo tumorale, prevenendo il danneggiamento del DNA e, di conseguenza, la proliferazione incontrollata delle cellule.
Il lavoro del team di ricerca guidato da Maga non solo offre nuove speranze per la lotta contro il cancro, ma amplia anche la comprensione dei complessi meccanismi molecolari che regolano la stabilità genomica. Il fatto che una proteina come DDX3X sia in grado di interagire con il DNA e l’RNA, e di svolgere un ruolo chiave nel loro equilibrio, sottolinea quanto il genoma umano sia un sistema delicato e interconnesso, in cui ogni elemento deve funzionare perfettamente per garantire la salute dell’organismo. Inoltre, la scoperta di una possibile alterazione dell’espressione di DDX3X in diversi tipi di tumore indica che la proteina potrebbe diventare un importante biomarcatore per la diagnosi precoce di alcuni tipi di cancro. Il monitoraggio dei livelli di DDX3X potrebbe infatti rivelare precocemente la presenza di anomalie a livello cellulare, permettendo interventi terapeutici più tempestivi. (C. P.).






Come spiegato nello studio, a influire sul nostro sistema immunitario sono principalmente tre fattori: la genetica, il comportamento e gli ormoni sessuali. Fino ad oggi però si è rivelato difficile riconoscere su quali parti del sistema immunitario agiscono i singoli fattori e come ciò condizioni il rischio di essere colpiti dalle malattie. Grazie alla partecipazione allo studio clinico di 23 uomini transgender sottoposti a terapia ormonale, i ricercatori sono finalmente riusciti a distinguere gli elementi del sistema immunitario regolati dagli ormoni sessuali da quelli dipendenti dalla genetica spiegando perché, in molti casi, uomini e donne sono colpiti in modo diverso dalle malattie.
© Inkoly/shutterstock.com
Uomini e donne sono colpiti in modo diverso dalle malattie e questo deriva da sottili differenze presenti nel nostro sistema immunitario. Le differenze immunologiche tra i sessi dipendono da più fattori e, come emerso da un recente studio dei ricercatori del Karolinska Institutet in Svezia e dell’Imperial College di Londra, a influenzare profondamente il sistema immunitario e il modo in cui risponde alle malattie, ci sono gli ormoni sessuali.
Come spiegato nello studio, a influire sul nostro sistema immunitario sono principalmente tre fattori: la genetica, il comportamento e gli ormoni sessuali. Fino ad oggi però si è rivelato difficile riconoscere su quali parti del sistema immunitario agiscono i singoli fattori e come ciò condizioni il rischio di essere colpiti dalle malattie. Grazie alla partecipazione allo studio clinico di 23 uomini transgender sottoposti a terapia ormonale, i ricercatori sono finalmente riusciti a distinguere gli elementi del sistema immunitario regolati dagli ormoni sessuali da quelli dipendenti dalla genetica spiegando perché, in molti casi, uomini e donne sono colpiti in modo diverso dalle malattie. Ad esempio, la malattia immunitaria del lupus eritematoso sistemico (LES) ha nove volte più probabilità di colpire le donne mentre, nel caso del COVID-19, i maschi hanno un rischio maggiore di contrarre infezioni acute e le femmine più probabilità di infezioni di lunga durata (Long-COVID).
I risultati dello studio, che è stato pubblicato su Nature, rivelano nel dettaglio come l’aumento del testosterone e la riduzione dei livelli di estrogeni alterino l’equilibrio tra due sistemi di segnalazione immunitaria cruciali che hanno implicazioni dirette sul modo in cui il sistema immunitario risponde alle infezioni e alle malattie: l’interferone antivirale di tipo 1 (IFN-1) e i segnali proinfiammatori come il fattore di necrosi tumorale alfa (TNF -α ).
Petter Brodin autore responsabile dello studio e professore presso l’Imperial College ha dichiarato: «Per la prima volta, siamo stati in grado di identificare quali parti del sistema immunitario di una persona sono regolate direttamente dagli ormoni sessuali piuttosto
che da differenze genetiche di sesso. Questo potrebbe avere un impatto significativo non solo sulla comprensione di come le differenti malattie colpiscano in modo diverso gli uomini e le donne, ma anche sullo sviluppo di nuovi trattamenti che potrebbero aiutare in moltissimi casi, dalle malattie im -

munitarie al cancro». Nello studio i 23 uomini trans, registrati come “femmine” alla nascita, sono stati sottoposti a trattamento mascolinizzante con testosterone. Il team ha raccolto campioni di sangue dai pazienti prima della somministrazione e a distanza di tre mesi e un anno dall’inizio della terapia ormonale, analizzando le differenze nelle cellule immunitarie e nelle proteine presenti nel sangue. L’analisi ha rivelato che diversi elementi chiave del sistema immunitario sono cambiati in seguito al trattamento, compresi i percorsi per le risposte infiammatorie alle infezioni e alle malattie. Tra questi vi erano il TNF- α e l’IFN-1, che svolgono ruoli critici nell’infiammazione, nel riconoscimento degli invasori microbici e nella modulazione delle risposte immunitarie a danni, malattie e minacce.
Per verificare se i cambiamenti osservati fossero direttamente dovuti all’aumento del testosterone o indirettamente alla riduzione degli estrogeni, il team ha analizzato il sangue di 11 donatrici. I campioni sono stati trattati con bloccanti dei recettori per dimostrare che l’effetto era direttamente dovuto alla segnalazione del testosterone, piuttosto che alla perdita di segnalazione dell’estradiolo.
Secondo i ricercatori, i risultati dello studio sono importanti per comprendere le conseguenze immunologiche dirette della terapia ormonale nelle persone trans, alle quali deve essere garantito un follow up a lungo termine per valutare l’im -

patto che il trattamento può avere sul loro sistema immunitario e sul rischio di malattie. I risultati della ricerca possono anche spiegare perché uomini e donne rispondono in modo diverso alle infezioni e perché i maschi hanno maggiori probabilità di sperimentare “tempeste di citochine” e un aumento del rischio di mortalità rispetto alle femmine con il COVID-19 e altre gravi infezioni.
Il professor Brodin ha aggiunto: «Siamo estremamente grati alle persone che hanno contribuito a questo studio. Le persone trans sono un gruppo estremamente sottorappresentato e poco servito in medicina. Oltre alle preziose intuizioni immunologiche che abbiamo scoperto in questa sede, il coinvolgimento di questo piccolo gruppo di persone ci consentirà di acquisire conoscenze più approfondite che potranno aiutare la salute a lungo termine delle persone trans in tutto il mondo». Brodin sta proseguendo il lavoro presso il Campus Hammersmith dell’Imperial. Nuovi studi prevedono l’analisi di campioni di sangue per individuare quali elementi e vie del sistema immunitario potrebbero diventare oggetto di terapie. (S. B.).
Uno studio ha dimostrato la profonda influenza degli ormoni sessuali sul nostro sistema immunitario e sul rischio di contrarre malattie
Diventare padri in età avanzata può comportare alcuni rischi per il nascituro. Uno di questi è una maggiore probabilità di essere affetto da una malattia genetica rara. L’hanno dimostrato i ricercatori dell’ospedale
Bambino Gesù di Roma insieme ai colleghi dell’Università di Oxford in un recente studio pubblicato sulla rivista scientifica
The American Journal of Human Genetics. Il team di ricercatori italiani e inglesi ha identificato anche un nuovo meccanismo molecolare attraverso cui alcune malattie rare diventano più frequenti con il progredire dell’età del padre. Numerose malattie genetiche sono causate da “nuove mutazioni” che sono trasmesse prevalentemente per via paterna. Questo tipo di mutazioni, chiamate dai genetisti “de novo”, sono il frutto di un evento “nuovo” verificatosi per la prima volta in quel soggetto. Secondo il nuovo studio, il rischio di concepire un bambino affetto da una malattia genetica rara aumenta col progredire dell’età del padre poiché gli spermatogoni, le cellule che danno origine agli spermatozoi e che contengono queste nuove mutazioni, si replicano nel corso di tutta la vita aumentando progressivamente di numero. Inoltre le cellule portatrici del gene mutato possono presentare un “vantaggio clonale”, si replicano cioè di più di quelle sane rendendo di fatto maggiore il rischio di trasmettere una malattia rara ai propri figli.
Lo studio dei ricercatori del Bambino Gesù e dell’Università di Oxford ha preso in esame i campioni di 18 pazienti diagnosticati con sindrome di Myhre e dei loro genitori e quelli di donatori anonimi di età compresa tra i 24 e i 75 anni. Sono stati analizzati anche i dati anagrafici di 35 nuclei familiari di pazienti americani con sindrome di Myhre. La sindrome di Myhre è una malattia genetica rara causata da mutazioni nel gene SMAD4 che insorgono de novo negli spermatogoni durante il processo di replicazione del DNA. Gli autori hanno evidenziato come queste mutazioni conferiscano un van-
taggio proliferativo alle cellule germinali staminali determinandone l’espansione clonale, con il risultato che esse diventano più numerose di quelle sane. I ricercatori fanno notare anche che il processo che ha come risultato una maggiore divisione cellulare è per alcuni aspetti simile a quello che si osserva nelle cellule del cancro e aumenta le probabilità che uno spermatozoo porti una mutazione che causa la malattia. Tale rischio aumenta con l’aumentare dell’età paterna. La sindrome di Myhre si trasmette con modalità autosomica dominante: basta che sia

tata una delle due copie del gene per manifestare i sintomi. In questa malattia un difetto congenito del tessuto connettivo comporta la progressiva fibrosi a carico di diversi organi, sordità e disabilità intellettiva di grado variabile che in alcuni casi si associano a un disturbo dello spettro autistico. I pazienti possono inoltre presentare limitata mobilità delle articolazioni e bassa statura.
Attraverso studi di caratterizzazione funzionale, i ricercatori dell’Ospedale Bambino Gesù sono riusciti a individuare il meccanismo molecolare che probabilmente conferisce alle cellule staminali germinali portatrici del gene SMAD4 mutato il vantaggio proliferativo. Queste mutazioni, infatti, causerebbero l’iperattiva-

Le malattie genetiche sono causate da mutazioni che possono colpire i geni. Possono essere ereditate dai genitori o insorgere de novo durante la replicazione del DNA dell’embrione. Le mutazioni ereditate a loro volta possono provenire dai genitori o possono insorgere de novo nelle staminali germinali paterne e materne da cui derivano spermatozoi e ovociti. In questo caso è uno dei due genitori a trasmettere il gene mutato che causa la malattia del nascituro. © romakhan3595/shutterstock.com
zione di una via di segnalazione intracellulare, nota come cascata MAPK, che generalmente viene attivata in risposta allo stimolo di fattori di crescita. Ciò accade in modo simile nelle fasi iniziali di molte malattie oncologiche quando una cellula cancerosa inizia a dividersi di più e più in fretta di una sana.
Marco Tartaglia, responsabile dell’Unità di Genetica Molecolare e Genomica Funzionale dell’Ospedale Bambino Gesù commenta: «Si tratta di risultati rilevanti non solo per le importanti implicazioni in ambito di consulenza genetica e di calcolo del rischio riproduttivo, ma anche in termini di nuove conoscenze. Lo studio dimostra la presenza di espansione clonale in associazione a mutazioni che colpiscono una proteina che opera al di fuori della via di segnalazione precedentemente associata a questo fenomeno». «Questa scoperta – termina l’autore - suggerisce che, con l’aumentare dell’età paterna, più meccanismi molecolari possono contribuire ad accrescere la probabilità di trasmissione al nascituro di un gene mutato potenzialmente causa di malattia».

Perché, per alcune malattie genetiche rare, l’età paterna rappresenta un fattore di rischio
Il progresso ha cambiato radicalmente usi, costumi e abitudini di ognuno di noi. Il discorso vale anche per i bambini, sempre meno all’aria aperta e sempre più in compagnia di smartphone e tablet. Qui, semmai, l’intenzione è dare risalto a quanto scoperto da uno studio dell’Università di Bologna nato dall’intento di un “intervento di biodiversità”. Per quindici giorni, all’interno di un campo estivo, dieci bambini residenti in aree urbane hanno interagito per circa dieci ore al giorno con i cavalli di una fattoria didattica. Al termine di questo breve ma intenso periodo trascorso interamente in
ambiente rurale, il microbiota dei bambini si è arricchito di batteri promotori di salute e metaboliti antinfiammatori. Come è stato possibile constatarlo? Attraverso una ricerca pubblicata sulla rivista One Health e guidata dagli studiosi dell’Università di Bologna nell’ambito del progetto europeo Circles.
Marco Candela, professore al Dipartimento di Farmacia e Biotecnologie dell’Alma Mater che ha coordinato la ricerca, ha spiegato i motivi che hanno spinto ad approfondire la tematica: «Questo studio mostra quanto sia importante per la nostra salute l’interazione con ecosistemi naturali, in particolar modo attraverso un impatto benefico sul microbiota intestinale». L’esperto ha poi rimarcato il concetto: «Dai risultati emerge infatti che proprio a seguito dell’interazione con i complessi sistemi naturali, tra cui animali da fattoria in ambiente rurale, il microbiota dei bambini riacquisisce diversità, batteri promotori di salute e metaboliti antinfiammatori». Ma che cos’è il microbiota intestinale?
Si tratta dell’insieme di mi -

I benefici scoperti grazie a un esperimento che ha visto dieci ragazzini di città interagire per 15 giorni con i cavalli di una fattoria didattica: lo studio è tutto italiano
crorganismi simbionti che a migliaia di miliardi abitano il nostro intestino. Il microbiota gioca un ruolo cruciale per la nostra salute.
Grazie a questa ricerca si è arrivati a un’altra rilevante scoperta: che nel microbioma di chi risiede in città la diversità delle popolazioni microbiche è minore rispetto a chi vive nelle aree rurali. Tale fenomeno, definibile come modernizzazione del microbioma, viene spesso associato all’aumento di allergie, asma, obesità, sindromi metaboliche, diabete di tipo 2 e altre malattie infiammatorie. Ecco perché, nel caso dei bambini di città, la modernizzazione del microbioma potrebbe essere considerata la vera responsabile di un aumento delle malattie allergiche. E ciò è un bel problema che richiede una pronta soluzione. Per questo motivo gli studiosi hanno pensato di sperimentare un approccio chiamato “rewilding del microbioma intestinale”, che punta proprio a ripristinare le caratteristiche del microbioma tipiche delle popolazioni rurali attraverso l’interazione con ambienti naturali. Da qui la decisione di riunire dieci bambini tra i 9 e i 14 anni residenti in
aree urbane del territorio bolognese per quello che è stato considerato un intervento di biodiversità. Lo scenario è stato quello di una fattoria didattica: per quindici giorni i bambini hanno interagito per circa dieci ore al giorno con i cavalli della fattoria.
Daniel Scicchitano, ricercatore dell’Università di Bologna e primo autore dello studio, ha così raccontato i dettagli dell’esperimento: «Abbiamo osservato un aumento significativo della diversità del microbioma intestinale dei bambini e una maggiore produzione di butirrato, un acido grasso a catena corta con proprietà antinfiammatorie. I cambiamenti osservati includono l’aumento di batteri benefici noti per il loro ruolo nella promozione della salute intestinale e nella bioconversione di polifenoli vegetali in metaboliti antinfiammatori, mentre non sono emerse evidenze di trasmissione di ceppi virulenti o produttori di tossine». In pratica l’interazione con i cavalli ha fatto sì che i bambini potessero arricchire il proprio microbioma, aumentando la diversità dei batteri benefici che lo animano.
«Sono ora in corso studi per confermare questi risultati in un contesto più ampio. Andremo ad esplorare diversi ambiti di interazione con ecosistemi naturali in maniera sistematica e in collaborazione con associazioni ed enti del territorio regionale», ha aggiunto Simone Rampelli, ricercatore dell’Alma Mater, altro autore dello studio. Nel mirino dei ricercatori c’è il rapporto tra uomo e natura per cui va considerata l’interazione nel suo complesso. Quanto alla ricerca in senso stretto, invece, vanno chiariti i meccanismi che permettono questo scambio di microbioma tra specie diverse. «L’idea è dimostrare l’importanza dell’interazione con ecosistemi naturali per la nostra salute - chiosa il professor Candela -. In questo modo potremo arrivare a promuovere una salute integrata, tra ambiente, animali e uomo, partendo dalla protezione e dal restauro degli ecosistemi naturali». Animali e natura, un binomio vincente per la salute dei più piccoli. (D. E.).

Uno studio cinese rivela per la prima volta i meccanismi neurali che rendono possibile una comunicazione efficace tra specie diverse
Tra uomo e cane esiste un legame unico e profondo: basta un solo sguardo per capirsi e una carezza per regalare benessere e rendere felici, sia noi, sia i nostri amici a quattro zampe.
È noto che durante le interazioni sociali, l’attività dei neuroni del cervello si sincronizza tra gli individui coinvolti. Finora però questo tipo di sincronizzazione era stato osservato soltanto tra individui appartenenti alla stessa specie e non tra specie diverse. Una nuova ricerca cinese pubblicata su Advanced Science ha dimostrato che tale sintonia avviene anche tra uomini e cani: lo sguardo reciproco provoca una sincronizzazione nella regione frontale del cervello e l’accarezzamento provoca una sincronizzazione nella regione parietale. Nello studio i ricercatori hanno analizzato anche cani portatori di mutazioni genetiche che causano sintomi caratteristici dei disturbi dello spettro autistico. Grazie ai risultati ottenuti potrebbero aprirsi nuovi scenari per il trattamento di questa sindrome anche nell’uomo.
La comunicazione tra uomini e cani si

è evoluta nel corso di 30mila anni: i cani sono stati i primi animali a essere addomesticati dall’uomo per le loro capacità di caccia e di protezione. Durante questo lungo tempo, i cani si sono evoluti per intuire, comprendere e rispondere a un’ampia gamma di stati emotivi e segnali comunicativi umani attraverso comportamenti, espressioni facciali e toni vocali. Si è raggiunto così uno straordinario livello di sostegno emotivo e compagnia che ha fatto sì che i cani siano oggi considerati a tutti gli effetti componenti delle nostre famiglie. Tuttavia, i meccanismi neurali alla base della comunicazione distintiva ed efficace tra uomini e cani sono rimasti in gran parte sconosciuti. Per far luce sulla questione il professor
Zhang Yongqing dell’Istituto di genetica e biologia dello sviluppo dell’Accademia delle scienze di Pechino (CAS), in collaborazione con il professor Hu Li dell’Istituto di psicologia del CAS hanno registrato attraverso un elettroencefalogramma wireless l’attività cerebrale di un volontario e di un cane Bea - gle in di -

È noto che durante le interazioni sociali, l’attività dei neuroni del cervello si sincronizza tra gli individui coinvolti. Finora però questo tipo di sincronizzazione era stato osservato soltanto tra individui appartenenti alla stessa specie e non tra specie diverse.
© ustas7777777/shutterstock.com

verse situazioni: quando i due si trovavano soli in stanze separate, quando erano nella stessa stanza, ma senza interagire, e quando invece si fissavano negli occhi e si scambiavano coccole. La sincronizzazione, inoltre, è diventata sempre più forte con il passare dei giorni, man mano che uomo e cane hanno preso confidenza imparando a conoscersi. I risultati di questi esperimenti comportamentali hanno mostrato che la sincronizzazione avviene in due regioni diverse del cervello. In particolare, i ricercatori hanno scoperto che la rete frontoparietale è una rete cerebrale critica coinvolta nell’accoppiamento dell’attività inter-encefalica e nella selezione delle informazioni sensoriali.
Secondo gli autori della ricerca, i cani sono un modello animale efficace e complementare anche per lo studio della cognizione sociale e dei disturbi neuropsichiatrici, come la sindrome dello spettro autistico (ASD) nell’uomo. I deficit persistenti nella comunicazione e nell’interazione sociale in contesti multipli sono i sintomi principali dell’ASD. Gli individui affetti da autismo spesso presentano anche diverse anomalie nell’elaborazione somatosensoriale, tra cui l’ipo o l’ipersensibilità agli stimoli tattili. I cani portatori di mutazioni del gene Shank3, inoltre, hanno mostrato chiari fenotipi simili all’autismo, misurati da una batteria di test comportamentali e nel loro caso è stata registrata una perdita della sincronizzazione e una ridotta attenzione durante le interazioni con gli umani. Lo studio ha rilevato anche che, rispetto ai cani sani, i cani con mutazione di Shank3 mostravano una riduzione non solo della sensibilità tattile, ma anche delle risposte corticali evocate dal tatto e dell’adattamento tattile nella corteccia somatosensoriale.
I risultati dello studio rivelano quindi sincronizzazioni tra i cervelli prima sconosciute all’interno della coppia uomo-cane che potrebbero essere alla base della comunicazione tra specie diverse. Secondo Zhang Yongqing il messaggio chiave che emerge dallo studio è che «la sincronizzazione inter-cerebrale interrotta potrebbe essere utilizzata come biomarcatore per l’autismo». (S. B.).

Scoperta rivoluzionaria sulla diapausa embrionale: l’embrione umano può entrare in uno stato di pausa regolato dal segnale molecolare mTor
Un recente studio pubblicato sulla rivista scientifica Cell ha portato alla luce un fenomeno di grande rilevanza nel campo della biologia dello sviluppo: l’embrione umano ha la capacità di entrare in uno stato di pausa, chiamato diapausa embrionale, per regolare le fasi precedenti all’impianto nell’utero. Questa scoperta, coordinata dai ricercatori Aydan Bulut-Karslıoğlu, dell’Istituto Max Planck per la genetica molecolare di Berlino, e Nicolas Rivron, dell’Istituto di biotecnologia molecolare (Imba) dell’Accademia austriaca delle scienze, potrebbe avere ricadute significative nel miglioramento delle tecniche di fecondazione assistita.
La diapausa è un fenomeno naturale osservato in alcune specie di mammiferi, in cui l’embrione entra in uno stato dormiente che può durare settimane o addirittura mesi. Questo meccanismo si attiva per favorire la sopravvivenza sia dell’embrione sia della madre, permettendo all’organismo materno di attendere condizioni ottimali per sostenere la gravidanza. Durante questo periodo di quiescenza, l’embrione riduce la sua attività metabolica e cellulare, attendendo il momento giusto per riprendere il suo sviluppo. Sebbene questo meccanismo fosse noto in alcune specie, fino a poco tempo fa non si pensava che l’embrione umano potesse avere una capacità simile. Tuttavia, grazie all’utilizzo di blastoidi – modelli di embrioni umani ai primi stadi dello sviluppo ottenuti da cellule staminali – i ricercatori hanno potuto osservare come anche nelle cellule umane sia possibile attivare la diapausa attraverso specifici segnali molecolari.
Uno degli aspetti più significativi dello studio è stato l’identificazione del segnale molecolare chiamato mTor (mammalian target of rapamycin) come regolatore chiave della diapausa embrionale. Il segnale mTor era già noto nei topi per la sua capacità di indurre la diapausa, ma questa è la prima volta che viene osservato un effetto simile nelle cellule umane.
Nello specifico, i ricercatori hanno trattato le cellule staminali umane e i blastoidi con un inibitore di mTor, scoprendo che lo sviluppo embrionale veniva ritardato. Questo ritardo nello sviluppo indica che le cellule umane possiedono un meccanismo molecolare in grado di indurre uno stato di quiescenza simile alla diapausa, rallentando la divisione cellulare e diminuendo la capacità dell’embrione di attaccarsi al rivestimento uterino. Questa scoperta rivela che, anche se negli esseri umani la diapausa non si verifica naturalmente come in altre

La diapausa è un fenomeno naturale osservato in alcune specie di mammiferi, in cui l’embrione entra in uno stato dormiente che può durare settimane o addirittura mesi. Questo meccanismo si attiva per favorire la sopravvivenza sia dell’embrione sia della madre, permettendo all’organismo materno di attendere condizioni ottimali per sostenere la gravidanza.
© Sebastian Kaulitzki/shutterstock.com
specie, il nostro organismo conserva ancora questa capacità e potrebbe essere possibile riattivarla attraverso l’intervento scientifico.
Questo studio ha importanti implicazioni pratiche, specialmente nel campo della fecondazione assistita. Le tecniche di riproduzione assistita, come la fecondazione in vitro (FIV), richiedono che gli embrioni vengano impiantati nell’utero in un momento preciso e sincronizzato con il ciclo materno. Tuttavia, la finestra temporale per questo impianto è spesso limitata e l’embrione può non attecchire correttamente, riducendo così le possibilità di successo della gravidanza.
Grazie alla capacità di indurre la diapausa embrionale, i ricercatori potrebbero essere in grado di fornire una finestra temporale più ampia per l’impianto dell’embrione. In pratica, sarebbe possibile mettere temporaneamente in pausa lo sviluppo embrionale, consentendo una valutazione più accurata della sua salute e garantendo che il momento dell’impianto coincida perfettamente con le condizioni ottimali del corpo materno.
Si tratta di un avanzamento potenzialmente rivoluzionario, che potrebbe migliorare sensibilmente le percentuali di successo delle tecniche di fecondazione assistita.
Un altro aspetto di questa scoperta è la possibilità che il meccanismo della diapausa embrionale sia un residuo evolutivo. Durante l’evoluzione, è possibile che i nostri antenati abbiano sviluppato questa capacità per aumentare le loro probabilità di sopravvivenza in ambienti difficili, attendendo il momento più adatto per iniziare una gravidanza. Tuttavia, con l’evoluzione, gli esseri umani potrebbero aver perso la capacità di utilizzare naturalmente la diapausa, pur mantenendo i componenti molecolari necessari per attivarla in determinate circostanze. Secondo i ricercatori, anche se l’essere umano ha perso la capacità di entrare naturalmente in uno stato di quiescenza, questi esperimenti suggeriscono che tale capacità è comunque conservata e potrebbe eventualmente essere liberata. Una scoperta che apre nuovi scenari, non solo per la medicina riproduttiva, ma anche per la comprensione della biologia umana e del nostro passato evolutivo.
La capacità di indurre la diapausa potrebbe anche aprire nuove strade nella medicina rigenerativa e nella biologia dello sviluppo, permettendo di studiare con maggiore precisione i primi stadi dello sviluppo embrionale e di individuare eventuali anomalie in modo tempestivo. (C. P.).

A caratterizzare la psoriasi è la comparsa di chiazze rosse coperte da squame, che si localizzano in varie parti del corpo come cuoio capelluto, gomiti, ginocchia, palmo delle mani e unghie. La metà dei pazienti sviluppa la malattia ancor prima del compimento del ventesimo anno di età. Di norma si tratta di una patologia genetica: circa un terzo dei malati ha un parente stretto che ne soffre o ne ha sofferto.
La psoriasi è una malattia infiammatoria cronica della pelle di origine autoimmune che colpisce circa 125 milioni di persone nel mondo, il 2-3% della popolazione. Soltanto in Italia si contano quasi tre milioni di casi in una fascia d’età compresa tra i 15 e i 45 anni, più di 500mila i casi di grado moderato-severo. Sulle cause ancora non c’è chiarezza, nonostante i numerosi studi di cui la psoriasi è oggetto. L’ipotesi più probabile è che siano legate a una combinazione di fattori genetici e ambientali e che anche lo stress incida non poco, se non come causa scatenante quanto meno come ulteriore elemento peggiorativo.
Non è una patologia da sottovalutare, soprattutto perché rischia di avere un significativo impatto sulla qualità della vita delle persone che ne soffrono. In particolar modo, va ad intaccare la sfera sociale e relazionale. A caratterizzare la psoriasi è la comparsa di chiazze rosse coperte da squame, che si localizzano in varie parti del corpo come cuoio capelluto, gomiti, ginocchia, palmo delle mani e unghie. La metà dei pazienti sviluppa la malattia ancor prima del compimento del ventesimo anno di età. Di norma si tratta di una patologia genetica: circa un terzo dei malati ha un parente stretto che ne soffre o ne ha sofferto. Ma alla base ci possono anche essere fattori ambientali o dovuti a disagi psico-emotivi. Attualmente il trattamento standard prevede l’utilizzo di emollienti, farmaci topici, fototerapia. La novità è che per i casi più gravi della psoriasi a placche e soprattutto per coloro che non trovano giovamento dalle terapie tradizionali, l’Agenzia Italiana del Farmaco ha recentemente approvato un nuovo farmaco (deucravacitinib), ora disponibile tramite il Servizio Sanitario Nazionale. Va ricordato che le cure attualmente disponibili forniscono un valido aiuto nel contenere o alleviare i sintomi, ma tuttavia non possono considerarsi completamente risolutive. Il trattamento innovativo agisce su diverse citochine coinvolte nella malattia, offre una somministrazione semplice che consiste nell’assunzione di una compressa al giorno e non richiede aggiustamenti di dose. Questo farmaco ha
mostrato un’efficacia duratura, migliorando le condizioni della pelle anche in aree difficili come il cuoio capelluto. Insomma, la speranza è che possa rivelarsi davvero utile a contrastare la psoriasi, patologia complicata e fastidiosa che comporta una serie di risvolti anche psicologici nei pazienti. Ma come funziona il deucravacitinib? Il farmaco in questione è un inibitore specifico che agisce su una particolare molecola coinvolta nella malattia. Lo ha confermato l’azienda farmaceutica Bristol Myers Squibb che lo ha sviluppato. Richard Warren, consulente dermatologo del Salford Royal Hospital in Inghilterra aveva già spiegato durante le prime fasi della ricerca cosa avesse spinto gli studiosi ad approfondire l’argomento per tentare di trovare una soluzione migliorativa. «La psoriasi a placche è una malattia cronica immunomediata associata a molteplici comorbidità gravi e con la necessità di nuove terapie, in particolare di farmaci orali, poiché molti pazienti non sono trattati in modo adeguato o sono insoddisfatti delle attuali opzioni di trattamento» ha chiarito l’esperto. E i dati raccolti erano stati immediatamente confortanti, tant’è che si è passati alla commercializzazione del farmaco dopo gli opportuni test di verifica. Parallelamente, poi, bisognerebbe sempre prestare attenzione a quelle regole quotidiane che si rivelano molto utili da seguire. Lo stile di vita, ad esempio, è fondamentale che sia quanto più sano possibile per fronteggiare concretamente la problematica. Molti comportamenti possono aiutare a controllare l’evoluzione della patologia. Ma facciamo qualche esempio. Anzitutto va evitato l’utilizzo di detergenti aggressivi che potrebbero aggravare la situazione portando ulteriori lesioni e sovrainfezioni. Dopodiché è consigliabile non riportare traumi come tagli e contusioni: per questo motivo è importante non grattare le placche. Altri consigli pratici? Mantenere la pelle idratata, scegliere capi di abbigliamento non sintetici dal momento che potrebbero irritare la pelle, esporsi al sole sì, ma con attenzione e senza dimenticare la protezione, quindi evitare il freddo. In più ci sono le abitudini alimentari, anch’esse
Dall’Aifa è arrivato l’ok alla terapia destinata ai casi di psoriasi a placche di grado moderato-severo, che nel nostro Paese colpisce più di 500mila persone
di Domenico Esposito

da monitorare. Il sovrappeso può aumentare lo stato infiammatorio: un po’ di attività fisica è sempre suggerita perché giova al corpo, alla salute e alla mente. Queste ultime regole sono in realtà generiche e applicabili ad ogni altro tipo di situazione, ma forniscono un contributo anche nei casi di psoriasi e vanno di pari passo a quanto ci offre la medicina per curare il disturbo. Notizie come questa del farmaco approvato per trattare la psoriasi sono confortanti, pur restando ancora lungo e complicato il lavoro da portare avanti. Il fatto che questa patologia non sia di per sé una malattia letale - c’è addirittura chi con troppa sufficienza non la considera neppure una malattia - non deve far abbassare la guardia sulla questione.

Secondo uno studio ne soffriranno 740 milioni di persone nel mondo: in aumento il numero dei giovanissimi colpiti
L’allarme arriva da un’analisi pubblicata sul British Journal of Ophthalmology ad opera di un team di esperti guidati da Yajun Chen, della Sun YatSen University (Cina) ed è assolutamente da non prendere sottogamba. Secondo gli scienziati, entro il 2050 più di 740 milioni di persone nel mondo potrebbero soffrire di miopia. La previsione assume maggiore rilevanza se si considera che sarà coinvolto un bambino o un adolescente su tre. Come spiega l’ospedale pediatrico Bambino Gesù di Roma attraverso il suo sito esistono due forme principa-
li di miopia, che di solito inizia nella prima infanzia per poi aggravarsi con l’età: una lieve-moderata, definita semplice, e una grave, nota come patologica o degenerativa. Ad oggi non esiste una cura al disturbo, che, però, può essere corretto. È infatti possibile ricorrere a lenti negative, come occhiali o lenti a contatto, oppure intervenire in maniera definitiva attraverso trattamenti chirurgici. Ma perché i casi di miopia sono in aumento? Il lavoro dei ricercatori dei cinesi ha analizzato in modo accurato i risultati di 276 studi sull’argomento che hanno coinvolto quasi 5,5 milioni tra
bambini e adolescenti e 1.969.090 casi di miopia in diversi Paesi di Asia, Europa, Africa, Oceania, Nord e America Latina. Dall’incrocio dei dati, gli esperti hanno scoperto che il numero dei giovanissimi affetti da miopia è aumentato di oltre tre volte se si raffronta il lasso di tempo che va tra il 1990 e il 2023, con gli adolescenti che hanno superato i bambini toccando il picco del 54% tra il 2020 e il 2023.
Su questi numeri, destinati a peggiorare sensibilmente col passare degli anni, non si esclude che abbia giocato un ruolo anche il Covid-19, quando in periodo di lockdown la scuola in presenza è stata costretta a cedere il passo alla didattica a distanza. Libri, tablet, videogiochi, pc, smartphone e tutto ciò che costringe gli occhi a focalizzarsi su una distanza ravvicinata possono favorire l’insorgenza della miopia. Facendo riferimento ad alcune nazioni dell’Asia orientale, i ricercatori hanno sottolineato come sia stata “osservata una correlazione tra la durata dell’istruzione e l’insorgenza della miopia”. Al contrario, nei Paesi africani dove permangono «tassi di alfabetizzazione più bassi e un inizio ritardato dell’istruzione formale si va incontro a una minore prevalenza di miopia». Che la miopia possa essere considerata un effetto collaterale dell’istruzione non è una novità. Già nei mesi scorsi ne aveva parlato Paolo Nucci, Ordinario di Oculistica all’università Statale di Milano in occasione del Congresso Nazionale della Società Italiana di Scienze Oftalmiche (Siso). «Può sembrare paradossale, ma è così: oggi circa il 35% dei ragazzi sotto i 14 anni è miope, e non è una proporzione normale» aveva detto, sottolineando il boom che si è registrato negli ultimi due anni. Se per il 2030 i casi previsti sono 600 milioni, per il 2050 la stima è di 740 milioni. I soggetti più colpiti, in base allo studio della Sun YatSen University, saranno le donne con il 42%, mentre gli uomini miopi dovrebbero essere il 37,5%. (D. E.).
Secondo i dati forniti dall’Organizzazione Mondiale della Sanità, sono circa 55 milioni le persone affette da demenza in tutto il mondo. Numeri che purtroppo sono destinati ad aumentare in maniera considerevole nel corso degli anni: si stima, infatti, che entro il 2030 si possa raggiungere quota 78 milioni, mentre nel 2050 i casi potrebbero addirittura lievitare a oltre 139 milioni. Il trend negativo è confermato anche dal Rapporto mondiale Alzheimer 2024 realizzato dall’Alzheimer’s Disease International (Adi) e in Italia diffuso dalla Federazione Alzheimer.
Per quanto riguarda il nostro Paese, non arrivano buone notizie: se attualmente i casi di demenza diagnosticati sono 1,48 milioni, entro il 2050 il timore è che si supereranno i 2,3 milioni. Il report approfondisce i risultati di un sondaggio internazionale analizzato dalla London School of Economics and Political Science in cui sono state coinvolte 40.000 persone tra pazienti affetti da demenza, assistenti, operatori sanitari e assistenziali di oltre 166 Paesi. Nel dettaglio, si fa luce su come la conoscenza, le percezioni e i comportamenti nei confronti della demenza siano cambiati negli ultimi cinque anni, ovvero dopo l’ultima indagine del 2019.
Dai risultati si evince come siano aumentate le difficoltà sociali legate alla malattia che va a intaccare le funzioni cognitive, ma nello stesso tempo si assiste a un impegno maggiore nella lotta contro la discriminazione, che è frutto anche di una maggiore consapevolezza. Ecco, allora, alcuni dei dati più significativi venuti a galla grazie al Rapporto mondiale Alzheimer 2024: il 65% degli operatori sanitari e assistenziali ritiene erroneamente che la demenza sia una componente normale dell’invecchiamento, così come l’80% della popolazione (l’aumento è notevole rispetto al 66% del 2019). E, ancora, è purtroppo in aumento lo
© pikselstock/shutterstock.com

Entro il 2050 si rischia di toccare quota 2,3 milioni: ecco che cosa è emerso dal Rapporto mondiale Alzheimer 2024
stigma, dal momento che l’88% delle persone affette da demenza dichiara di subire discriminazioni. Inoltre, più di un quarto delle persone nel mondo ritiene - sbagliando - che non ci sia nulla che si possa fare per prevenire la demenza: si tratta di una percentuale aumentata dal 20% nel 2019 al 37% nei Paesi a basso e medio reddito. Infine, oltre il 58% della popolazione generale ritiene che la demenza sia causata da uno stile di vita non sano. In riferimento allo stigma, le conseguenze che ne derivano finiscono per avere un impatto notevole su chi è affetto da demenza, che tende a isolarsi.
I numeri raccontano che il 31% evita le situazioni sociali e il 36% smette di cercare di lavoro proprio per timore di subire discriminazioni. Di riflesso, il fenomeno investe anche i familiari delle persone con demenza: il 47% non accetta più inviti da amici e parenti e il 43% non ospita più persone a casa. Tra i dati positivi emersi dal Rapporto mondiale Alzheimer 2024, ce n’è uno incoraggiante. In particolare, nei Paesi ad alto reddito, la maggior parte degli intervistati (64%) si professa più sicura nello sfidare lo stigma e la discriminazione rispetto al 2019. (D. E.).

Le noci e le loro bucce: una fonte ricca di nutrienti, antiossidanti e composti bioattivi per una dieta sana e la prevenzione delle malattie
di Carla Cimmino

ntroduzione
ILe noci sono alimenti ricchi di nutrienti, consumati come elementi di diete sane, di cui ne esistono molti tipi come: mandorle (Prunus amigdalis ), nocciole (Corylus avellana), noci (Juglans regia), pistacchi (Pistachia vera), pinoli (Pinus pinea), anacardi (Anacardium occidentale), noci pecan (Carya illinoiensis), noci di macadamia (Macadamia integrifolia) e noci del Brasile (Bertholletia excelsa).
Nei paesi occidentali, si consumano noci intere (fresche o tostate) come spuntino, nei dessert o come parte di un pasto. Inoltre, gli oli di noci sono utilizzati come ingrediente alimentare, il cui consumo è aumentato negli ultimi anni perché sono considerate una buona fonte di energia.

Il pistacchio (Pistacia vera) è una delle noci più diffuse al mondo, appartenente alla famiglia delle Anacardiaceae, che comprende circa 70 generi e oltre 600 specie. © nelea33/shutterstock.com
Contengono: minerali sani; elevate quantità di proteine vegetali; grassi; in particolare acidi grassi insaturi (UFA); fibre alimentari, vitamine, altri composti bioattivi.
Le bucce delle noci sono una buona fonte di antiossidanti, presentano polifenoli e altri composti fitochimici che ritardano o inibiscono l’ossidazione dei lipidi e la neutralizzazione dei radicali liberi, contribuiscono così alla prevenzione e al trattamento delle malattie.
È possibile rilevare l’attività antiossidante attraverso diversi metodi chimici o biologici come: il test del potere antiossidante riducente ferrico (FRAP), l’attività di rimozione dei radicali 2,2-difenil-1-picril-idrazile (DPPH) e l’acido 2,2′-azino-bis 3-etilbenzotiazolina-6-solfonico (ABTS). Gli antiossidanti nutritivi possiedono un AO debole (ad esempio, vitamina A, vitamina C e selenio); i non nutritivi (fitochimici), sono considerati molto più forti nella loro attività, in particolare i composti fenolici.
Caratteristiche
Il pistacchio (Pistacia vera) è una delle noci più diffuse al mondo, appartenente alla famiglia delle Anacardiaceae, che comprende circa 70 generi e oltre 600 specie.
La testa del pistacchio è una ricca fonte di composti fenolici o antiossidanti come flavonoidi (ad esempio, miricetina), gallotannini e altri composti fenolici. La buccia viene utilizzata per preparare polimeri naturali perché è ricca di cellulosa; e dall’ndustria alimentare e di trasformazione alimentare, cosmetica e farmaceutica.
Grazie ai composti bioattivi benefici presenti nella buccia, aggiunto alla dieta quotidiana di un individuo, può contribuire alla prevenzione delle malattie, come hanno riportato molti studi.
Prunus dulcis o mandorle è un frutto a nocciolo appartenente alla famiglia delle Rosaceae, la buccia appare come un rivestimento coriaceo marrone e rappresenta il 4% del peso totale, contiene molte pro-
prietà fitochimiche benefiche, comprendendo tra il 70% e il 100% dei fenoli totali nell’intero frutto di mandorla.
Inoltre, i composti mostrano effetti sinergici quando se legati alle vitamine C ed E, proteggono dall’ossidazione del colesterolo delle lipoproteine a bassa densità (LDL-C) e migliorano l’AO. La pelle contiene diverse quantità di triterpenoidi, (acido betulinico, acido oleanoico e acido ursolico), che hanno attività antinfiammatorie, antitumorale e antivirale contro il virus dell’immunodeficienza umana (HIV).
Le bucce di mandorle vengono utilizzate in vari prodotti, anche come componente base nella farina di grano e come colorante per alterare il colore dei biscotti. Uno studio recente ha proposto l’utilizzo dell’estratto di buccia di mandorle

per i pazienti con malattie infiammatorie intestinali, questo perché, la buccia è un’ottima fonte di fibre e fungono da prebiotico, influenzando il microbioma intestinale.
Le nocciole (Corylus avellana L.) appartengono alla famiglia delle Betulaceae e sono una delle tipologie di noci più note al mondo. Sono utilizzate nell’industria alimentare, in particolare nel settore dolciario nelle barrette di cioccolato, gelati, latticini e caffè, possono essere aggiunte a molti altri prodotti, dai cereali e pane agli yogurt e insalate. L’olio di nocciole è utilizzato in prodotti cosmetici, medicinali, per massaggi e da cucina, mentre il suo composto aromatizzante viene aggiunto nei profumi.
La fibra alimentare è il costituente più abbondante della buccia di nocciola
© Dionisvera/shutterstock.com


Le nocciole (Corylus avellana L.) appartengono alla famiglia delle Betulaceae e sono una delle tipologie di noci più note al mondo. Sono utilizzate nell’industria alimentare, in particolare nel settore dolciario nelle barrette di cioccolato, gelati, latticini e caffè, possono essere aggiunte a molti altri prodotti, dai cereali e pane agli yogurt e insalate.
© Skrypnykov Dmytro/shutterstock.com
(67,7%), di cui il 57,7% è fibra insolubile. La buccia ha un buon AO rispetto ad altri alimenti. Secondo Özdemir et al., il contenuto fenolico totale espresso come mg di equivalenti di acido gallico per grammo (mg GAE/g) è di 233 mg GAE/g nella buccia. Possono essere utilizzate come ingrediente per produrre yogurt funzionale; nella pasta fresca, aumentando il contenuto totale di fibre e AO.
Studi e evidenze
I pistacchi contengono molti composti fenolici come i flavonoidi e le sue sottoclassi (flavan-3-oli, flavanoni, isoflavoni e flavoni), che possono raggiungere fino a 16-70 mg/100 g a seconda del tipo. Uno studio condotto da Moreno-Rojas et al. ha analizzato il potenziale antiossidante in diverse coltivazioni di pistacchio con metodi diversi con differenze significative ( p < 0,01) nei valori AO misurati da ABTS (2,51 mmol/100 g) e DPPH (1,97 mmol/100 g) in media nel 2020. Le variazioni osservate nell’AO tra le coltivazioni sono dovute a diverse condizioni climatiche tra gli anni.
Uno studio condotto da Nuzzo et al. mostra l’importanza dell’AO nel pistacchio, indica che i composti fenolici nei pistacchi possono attenuare le specie reattive dell’ossigeno (ROS) generate nei mitocondri e indotte dallo stress redox nel cervello del topo, portando ad effetti neuroprotettivi (ad esempio, diminuzione dell’apoptosi cerebrale, diminuzione dei lipidi cerebrali e miglioramento della funzione mitocondriale).
I pistacchi possono contribuire alla prevenzione delle malattie, secondo quanto è emerso in uno studio randomizzato: gli adulti con diabete di tipo 2 che seguivano una dieta a base di pistacchi avevano una significativa riduzione della pressione sanguigna sistolica ambulatoriale di 3,5 ± 2,2 mmHg. Inoltre, i pistacchi sono una ricca fonte di fibre alimentari, che promuovono la sazietà e probabilmente favoriscono l’aderenza ai programmi di riduzione del peso.
Fantino et al., hanno dimostrato che
l’assunzione giornaliera di 44 g di pistacchi durante un periodo di 12 settimane non ha influenzato negativamente il controllo del peso corporeo nelle donne francesi sane. Inoltre, Sari et al. hanno dimostrato che il consumo di pistacchi (30–80 g/giorno) può abbassare il colesterolo totale al 10,1% e l’LDL-C all’8,6%. Da London et al. sono stati inoltre segnalati miglioramenti nei livelli di glucosio nel sangue, nella funzione endoteliale e in alcuni indici di infiammazione e stato ossidativo tra uomini giovani sani a seguito di un aumento dell’assunzione di pistacchi.
Le mandorle contengono elevate quantità di composti fenolici, confermati da Čolić et al. i 28 polifenoli in quelle coltivate in Serbia, con la catechina al 46,3%, oltre all’acido clorogenico, alla naringenina, alla rutina, all’apigenina e all’astragalina.
Un altro studio ha identificato diversi altri composti polifenolici tra cui stilbeni (il meno polifenolo trovato), polidatina nei semi (0,7 ng/g), bucce (1,8 ng/g), acqua di sbiancamento (72 ng/g) e ossiresveratrolo con piceatannolo nell’acqua di sbiancamento (17 ng/g). L’AO è stato rilevato con diversi metodi nelle mandorle e nei loro sottoprodotti. Da alcuni studi sono emersi alti tassi di attività di rimozione dei radicali (SA) con un DPPH-SA elevato che ha raggiunto fino al 90%.
Come tutta la frutta secca, le nocciole hanno un AO elevato, contenendo 291875 mg/100 g di polifenoli. I principali composti fenolici presenti nella buccia di nocciola sono acidi fenolici (ad esempio, acidi idrossibenzoici, acido gallico, acido protocatecuico, acido salicilico, acido vanillico e molti altri), flavonoidi (ad esempio, quercetina, glucuronide di quercetina, isomero esoside di quercetina, quercetina-3-O-glucoside e altri), tannini idrolizzabili (ad esempio, isomero esoside dell’acido ellagico, isomero pentoside dell’acido ellagico, isomero dilattone dell’acido flavogallonico, isomero bis (esaidrossidifenoil)-glucosio (HHDP-glucosio) e dilattone dell’acido valoneico/dilattone dell’acido sanguisorbico) e altri fenoli (ad esempio, diidrossicuma-

Uno studio recente ha proposto l’utilizzo dell’estratto di buccia di mandorle per i pazienti con malattie infiammatorie intestinali, questo perché, la buccia è un’ottima fonte di fibre e fungono da prebiotico, influenzando il microbioma intestinale.
©dimid_86/shutterstock.com
rina e dimero di procianidina).
Uno studio condotto da Pycia et al. ha analizzato il potenziale antiossidante del frutto di nocciola, con l’avanzare della maturazione, il potenziale antiossidante delle noci raccolte è inferiore rispetto al precedentemente raccolto, raggiungendo una media del 95% per ABTS, dell’86% per DPPH e dell’89% per FRAP.
In un altro studio, sono stati identificati e quantificati un totale di 31 sottoclassi polifenoliche flavan-3-oli con un contenuto medio di polifenoli totali di circa 675 mg/100 g. Inoltre, il 3,5% di flavonoidi e diidrocalconi era rappresentato nei diversi campioni di nocciole, con gli acidi fenolici che rappresentavano la quantità minima di polifenoli totali riscontrata nella buccia (<1%).
In uno studio randomizzato controllato di Guaraldi et al. che ha valutato gli effetti del consumo a breve termine di nocciole sullo stress ossidativo e sul danno al DNA in bambini e adolescenti con iperlipidemia primaria, è stato rilevato un miglioramento nella protezione del DNA cellulare e nella resistenza allo stress ossidativo.
Sebbene la buccia di mandorla non abbia mostrato un AO elevato, sono stati dimostrati effetti sull’attività antimicrobica e antivirale contro S. aureus e HSV1, rispettivamente.
Le nocciole forniscono potenziali effetti protettivi contro l’ossidazione delle LDL e prevengono lo stato infiammatorio nei soggetti con ipercolesterolemia moderata, come concluso da una recente meta-analisi.
Per concludere, le noci sono alimenti ricchi di nutrienti ampiamente consumati come componenti di diete sane a livello globale, sia crude che tostate. Queste potrebbero essere la base dei nutraceutici o integratori alimentari nel prossimo futuro, visto che la ricerca ha dimostrato che le bucce delle noci possiedono alti AO per le elevate quantità di composti fenolici presenti in esse.





23-24 novembre 2024
Hotel Belvedere, Caserta
Quando pensiamo ai problemi di capelli raramente ci occupiamo del cuoio capelluto, eppure i dati scientifici odierni affermano proprio il contrario: il benessere del cuoio capelluto è alla base della prevenzione contro la caduta alterata dei capelli e del mantenimento di una chioma sana. Almeno il 40 - 50% delle persone nella società moderna lamenta forfora, iperseborrea e prurito; esistono ormai numerosi dati osservativi su come specifiche condizioni dermatologiche del cuoio capelluto abbiano un ruolo attivo nella caduta prematura dei capelli o al contrario come un cuoio capelluto sano sia necessario nel supportare la produzione di capelli sani. È evidente inoltre come forfora, dermatite seborroica, psoriasi, dermatite atopica siano condizioni in cui lo stress ossidativo è comunemente rilevato e siano collegate con l’insorgere o l’acutizzarsi dell’alopecia.
Il microbiota del cuoio capelluto è un ulteriore elemento importante per l’equilibrio cutaneo, è costituito principalmente da Propionibatteri, Staphylococcus e Malassezia. Si ritiene inoltre che il processo infiammatorio sia mediato da metaboliti fungini, in particolare
dagli acidi grassi liberi rilasciati dai trigliceridi sebacei. Sappiamo che per avere capelli sani, questi devono rispettare un corretto ciclo vitale in cui crescita e caduta sono scandite da tempi precisi e da determinati segnali molecolari. Tra le condizioni che sfavoriscono il corretto ciclo vitale del capello c’è la forfora, che deriva dalla proliferazione accelerata delle cellule epidermiche con conseguente esfoliazione. In particolare il processo deriva da un’infiammazione del cuoio capelluto con paracheratosi che causa un’esfoliazione anomala. Tra i fattori che portano alla formazione di aree infiammate ci sono Malassezia, lipidi ossidati e sensibilità individuale. La dermatite seborroica invece rappresenta una condizione cronica ricorrente
Il cuoio alterato può indurre la caduta precoce dei capelli. Un microbiota sbilanciato verso Malassezia aumenta lo stress ossidativo associato alla cute e predispone alla caduta
di Biancamaria Mancini

caratterizzata da desquamazione e chiazze eritematose, con una predilezione per le aree ricche di ghiandole sebacee. Si ritiene che la causa della dermatite seborroica coinvolga nuovamente il genere Malassezia che segna un legame patogeno con la forfora.
La psoriasi infine è una patologia infiammatoria cronica del cuoio capelluto più studiata in merito al legame tra lo stress ossidativo, il ruolo di Malassezia e il rischio della perdita dei capelli. A differenza della dermatite seborroica, la condizione è caratterizzata da lesioni eritemato-squamose nettamente demarcate con desquamazione bianco-argentea. L’espres-

Sia la forfora che la dermatite seborroica presentano chiari segni di stress ossidativo come indicato da livelli alterati di enzimi antiossidanti superficiali e sistemici. In campioni epidermici interessati da forfora e dermatite seborroica sono stati rilevati elevati livelli di perossidazione lipidica.

© New Africa/shutterstock.com
• Trüeb RM, Henry JP, Davis MG, Schwartz JR. Scalp Condition Impacts Hair Growth and Retention via Oxidative Stress. Int J Trichology. 2018 Nov-Dec;10(6):262-270. doi: 10.4103/ijt.ijt_57_18. PMID: 30783333; PMCID: PMC6369642. Bibliografia
sione più drammatica della condizione immunomediata è l’inibizione del fattore di necrosi tumorale alfa, ovvero la dermatite psoriasiforme del cuoio capelluto indotta dal trattamento con il rischio di alopecia permanente da cicatrici. Gli indicatori di stress ossidativo nella psoriasi includono enzimi antiossidanti alterati, proteine ossidate e lipidi ossidati, oltre alla forte presenza di Malassezia.
Dal quadro presentato emerge che la salute dei capelli può essere considerata il risultato di una combinazione di fattori: stato dello stress ossidativo, stile di vita, fotoinvecchiamento, infiammazione e presenza di lipidi ossidati.
I farmaci oggi in utilizzo per la calvizie fanno riferimento unicamente al diradamento dei capelli collegato alle peculiarità del metabolismo ormonale, per questo si usano molecole come minoxidil o gli inibitori della 5-alfa-reduttasi, ma il loro limitato tasso di successo implica necessariamente che devono essere presi in considerazione ulteriori percorsi patogeni. In particolare diversi studi in vitro suggeriscono che una frontiera da approfondire è quella che tratta il ruolo dello stress ossidativo nella patogenesi dell’alopecia androgenetica. I lipidi ossidati infatti, influenzano negativamente la normale crescita dei capelli e inducono l’apoptosi delle cellule del follicolo pilifero e dei cheratinociti epidermici umani tramite la regolazione positiva dei geni correlati all’apoptosi. Questi risultati indicano che i perossidi lipidici, che possono causare radicali liberi, inducono l’apoptosi delle cellule del follicolo pilifero, e questo è seguito dall’inizio precoce della fase catagen. La Malassezia è ormai una fonte comprovata di stress ossidativo, il cuoio capelluto infiammato e ossidato può alterare la forza di ancoraggio della radice al follicolo e causare radici in anagen displasico.
È quindi evidente che la condizione del cuoio capelluto influisce sulla vita dei capelli; prendersi cura del cuoio capelluto non è solo un’azione curativa ma preventiva. Alla luce di questo nuovo paradigma si prevedono nuovi ed interessanti sviluppi cosmetici su come attuare un’accurata e appropriata scalp / hair routine, anche in soggetti che non presentano alterazioni del cuoio capelluto. Esfoliazione, purificazione profonda, detossicazione, azione antisettica e riequilibrio del microbiota cutaneo sono i passi necessari per prendersi cura del proprio cuoio capelluto e quindi anche dei propri capelli.

Enea in prima linea per un futuro sostenibile: con la sua nuova iniziativa, promuove case più efficienti, riducendo sprechi e favorendo l’adozione di fonti rinnovabili
Lampedusa è un avamposto della sostenibilità. Ci sono, infatti, buone notizie per i piccoli paradisi italiani bagnati dal mare: Enea sta sviluppando un progetto per ridurre il consumo energetico nell’ambito delle attività legate al programma “Ricerca di sistema elettrico”. L’iniziativa promuove l’efficienza come strumento per la decarbonizzazione e si concentra su soluzioni che non solo aiuteranno a risparmiare sulla bolletta, ma anche a proteggere l’Ambiente e a migliorare la vita di chi lo abita.
«Nelle piccole isole del Mediterraneo - spiega Biagio Di Pietra, responsabile del Laboratorio Enea soluzioni integrate per l’efficienza energetica - la produzione di acqua calda sanitaria e la climatizzazione impattano in maniera significativa sulla domanda energetica, sia nel settore residenziale che turistico. Studi recenti hanno mostrato che circa il 40% dei consumi elettrici degli utenti residenziali è infatti attribuibile alla produzione di acqua calda, con picchi significativi durante la stagione turistica. Le analisi condotte a Lampedusa assieme all’Università di Palermo hanno, inoltre, mostrato che quasi tutti gli utenti residenziali usano scaldacqua elettrici».
Presso l’Osservatorio climatico Enea lampedusano viene testato un sistema ibrido. C’è un impianto fotovoltaico di piccola taglia (1,74 kWp), che, sfruttando la generosa insolazione, produce energia elettrica. Si alimenta così una pompa di calore, con accumulo da 200 litri, che, a sua volta, riscalda l’acqua sanitaria. Per garantire la continuità del servizio, anche nelle ore notturne o in caso di scarsa insolazione, sono stati installati sistemi di accumulo a supercondensatore da 3,6 kWh. L’obiettivo è ambizioso: raggiungere l’autosufficienza nella produzione di acqua calda, riducendo drasticamente la dipendenza dai combustibili fossili e minimizzando l’impatto ambientale.
La campagna sperimentale vuole dimensionare correttamente l’impianto fotovoltaico e la capacità degli accumulatori termici per garantire un alto livello nell’autoconsumo di quanto prodotto e ottimizzare il rendimento del sistema. «Nelle reti elettriche delle piccole isole, che hanno dimensioni ridotte, è più complesso gestire - afferma Francesco Baldi del Laboratorio Enea soluzioni integrate per l’efficienza energetica - l’intermittenza della generazione da rinnovabili, così come i picchi di domanda af-

Gli esperimenti hanno confermato l’innovatività del sistema, capace di adattare la produzione di energia ai bisogni reali, spostando i consumi verso i momenti di maggior convenienza e minimizzando gli sperperi. I risultati ottenuti aprono la strada a future applicazioni su larga scala, rendendo questo sistema replicabile in contesti territoriali simili.
© anatoliy_gleb/shutterstock.com
ferma. Per ovviare a questo problema abbiamo utilizzato dei sistemi che regolano in automatico l’immissione della generazione elettrica in rete, programmando i carichi grazie ad accumuli termici e a dispositivi smart, controllati dal sistema e non dall’utente, al quale viene comunque garantito massimo comfort».
«La nostra ricerca - prosegue Biagio Di Pietra - tocca anche altri aspetti: in collaborazione con l’Università di Palermo, abbiamo avviato da qualche anno uno studio sperimentale presso il faro di Capo Grecale di Lampedusa e presso la mediateca di Pantelleria finalizzato a testare sistemi per la climatizzazione degli ambienti del tipo free solar cooling. Infine, con l’obiettivo di rendere cittadini e imprese protagonisti e beneficiari della trasformazione energetica, sono state organizzate una serie di attività di formazione e disseminazione in collaborazione con amministratori locali, scuole, distributori elettrici e ricercatori».
L’Osservatorio di Lampedusa (visitabile on-line https://www.lampedusa.enea.it) è una sentinella del Mediterraneo, impegnandosi in una molteplicità di ricerche cruciali per comprendere e contrastare gli effetti dei cambiamenti climatici. Oltre a sperimentare innovative soluzioni per la produzione di acqua calda sanitaria, monitora costantemente l’atmosfera, gli oceani e gli ecosistemi costieri, fornendo dati preziosi alla comunità scientifica internazionale.
Per seguire l’evoluzione del clima e i litorali, i ricercatori utilizzano una vasta gamma di strumenti tecnologici. Droni volano sopra l’isola per acquisire immagini ad alta risoluzione delle aree marine protette; satelliti catturano dati preziosi sull’atmosfera e sugli oceani, mentre sensori subacquei tengono sotto controllo temperatura, salinità e biodiversità dei fondali.
La vera rivoluzione è l’uso dell’intelligenza artificiale. Grazie ad algoritmi sofisticati, si possono analizzare enormi quantità di dati in tempi record, identificando pattern e tendenze che sarebbero impossibili da individuare con metodi tradizionali. L’Ia permette di creare modelli sempre più precisi del clima e di prevedere eventi estremi con maggiore anticipo. L’isola che ha accolto migliaia di vite, è anche un faro di speranza per il futuro del Pianeta. Le ricerche condotte, ci ricordano che ognuno di noi può fare la propria parte per proteggere il mare, il territorio e le future generazioni. (G. P.).

Bere un prodotto sicuro e pregiato? L’Enea utilizza le analisi biochimiche per garantire l’origine e le proprietà di ogni chicco, tutelando piccoli produttori e consumatori
Chi l’avrebbe mai detto che anche il caffè avrebbe potuto avere un proprio documento d’identità? Grazie ad un innovativo progetto, ora è possibile risalire all’origine e alle caratteristiche di ciascun chicco. Il risultato è frutto della collaborazione fra Enea, l’azienda Pnat (spin-off dell’Università di Firenze), l’Accademia del Caffè Espresso (La Marzocco) e gli enti garanti del caffè di otto Paesi fra il Centro e il Sud America (El Salvador - CSC, Honduras - IHCAFE, Costa Rica - ICAFE e Guatemala - ANACAFE, oltre ad ACE e Cup of Excellence). Con l’aiuto di analisi chimiche e sensoriali all’avanguardia, ogni specialty coffee, categoria che viene coltivata, lavorata e preparata con estrema cura, avrà un vero e proprio “passaporto” che racconterà il viaggio dalla pianta alla tazzina. In questo modo, i consumatori potranno fare scelte più consapevoli. Inoltre, si punta a migliorare le condizioni di vita fra i piccoli produttori di alta qualità, spesso trascurati, ma alla base delle eccellenze che tanto decantiamo.
Spesso le coltivazioni provengono da regioni specifiche con condizioni climatiche e terreni idonei e vengono valutate da esperti assaggiatori rispettando rigorosi standard di qualità. È in fieri, quindi, un passo avanti verso una filiera trasparente e sostenibile, a beneficio di un pubblico sempre più attento e dei lavoratori che dedicano passione e cura al proprio tesoro agricolo. Nei laboratori Enea, i ricercatori hanno studiato i dati provenienti dalla cromatografia liquida ad alte prestazioni e dalla spettrometria di massa, due tecniche analitiche adoperate per separare, identificare e quantificare i componenti in campioni chimici complessi.
«Attraverso l’impiego di tecniche di analisi biochimica all’avanguardia - spiega Alessia Fiore, responsabile del progetto per Enea e coordinatrice del gruppo di lavoro composto dai colleghi Gianfranco Diretto e Sarah Frusciante - abbiamo identificato le sostanze chimiche di 420 diversi campioni di caffè appartenenti a più di 30 varietà di Arabica, mentre un approccio bioinformatico ci ha permesso di evidenziare che i campioni differiscono notevolmente in base al Paese di coltivazione». La ricercatrice Sarah Frusciante sottolinea che: «l’origine geografica del caffè, determina la sua composizione molecolare, in quanto le caratteristiche del suolo e del clima di ogni regione sono decisive

«Si tratta - commenta Gianfranco Diretto, responsabile del Laboratorio Enea di Biotecnologie Green - di un’iniziativa unica nel suo genere, perché mira ad approfondire la conoscenza del caffè e a indagare la possibilità di basi scientifiche che misurino la qualità e le caratteristiche di una tazzina, coinvolgendo ben otto Paesi produttori a livello mondiale. Vogliamo arrivare a una formazione dei baristi sul modello dei sommelier per offrire ai consumatori un “viaggio” tra le diverse tipologie di caffè, anche prevedendo un pagamento differenziato sulla base di qualità, tracciabilità e sostenibilità».
Ribeiro/shutterstock.com
© Alf

e peculiari e direttamente responsabili delle valutazioni sensoriali della bevanda, come amarezza, acidità, corpo e dolcezza».
Camilla Pandolfi, research manager di Pnat, ci tiene ad evidenziare come l’osservazione più sorprendente «che abbiamo elaborato, grazie all’analisi dei campioni di caffè, sia come la variabilità dei composti volatili che definiscono aromi e profumi del chicco verde venga definita più dalla territorialità che non da fattori merceologicamente ritenuti più influenti, quali la varietà o le lavorazioni post raccolta».
Altro punto da non dimenticare, dice Massimo Battaglia, Coffee Research Leader di Accademia del Caffè Espresso, sono i lunghi viaggi: «l’identità del caffè, molto spesso, si perde una volta che il prodotto viene trasportato dalle aree di origine fino a quelle del consumo. Le distanze coperte sono grandi, immaginiamo il Centro America, l’Indonesia, l’India, l’Etiopia, per esempio, dove il caffè con grande cura e attenzione viene coltivato, processato e spedito nei Paesi dove diventa una bevanda, frequentemente con una storia poco conosciuta. Questo progetto permetterà di valorizzare il caffè ed i territori di eccellenza dove viene prodotto e, soprattutto, garantire ai consumatori un prodotto che è alla base della quotidianità, ma del quale spesso conosciamo molto poco». L’innovativo approccio scientifico apre nuove prospettive per il mondo dell’espresso e della moka. Collegando i dati chimici alle caratteristiche sensoriali, potremo non solo garantire l’eccellenza, ma anche sostenere i produttori di caffè specialty, valorizzando le peculiarità di ogni singola origine. L’obiettivo a lungo termine è creare una rete globale che coinvolga tutti i principali Paesi esportatori. «L’attività di ricerca con l’Accademia - conclude Massimo Iannetta, responsabile della divisione Enea di Sistemi agroalimentari sostenibili - è solo una delle diverse azioni intraprese da noi in questo settore. Ad esempio, la nostra intenzione è di studiare altre varietà di caffè con una maggiore resistenza ai cambiamenti climatici, come Coffeea Stenophilla, specie di Arabica selvatica. Poi ci sono le iniziative congiunte con l’Istituto Italo-Latino Americano per ottimizzare la fase di produzione primaria nell’ottica dell’economia circolare, attraverso la valorizzazione di tutti i residui e i sottoprodotti della filiera di produzione». (G. P.).
Le spiagge italiane sono sempre più popolate dalle Caretta caretta. Nel 2024 c’è stato un numero record di nidi, segnale positivo per la conservazione di questa specie
di Gianpaolo Palazzo

L’arenile si trasforma in nursery naturali. Nel 2024 si è registrato un numero record di nidi di Caretta caretta, la tartaruga marina più comune nel Mediterraneo. Ben 601 femmine hanno scelto le nostre coste per deporre le uova, superando, di gran lunga, i dati degli anni precedenti. Un successo che premia gli sforzi di monitoraggio e protezione e che sottolinea l’importanza di un ecosistema marino sempre più sano. Grazie alle statistiche di “Tartapedia.it”, raccolte e analizzate da “Legambiente”, sappiamo che quest’anno le deposizioni sono aumentate di oltre un terzo rispetto al 2023, quando erano stati contati 452 nidi.
A guidare la classifica delle regioni è la Sicilia, con ben 190 attestazioni concentrate nelle province di Siracusa, Ragusa, Agrigento e Trapani. La Calabria segue a ruota con 147, principalmente sulla Costa dei Gelsomini, in provincia di Reggio Calabria e sulla riviera tirrena, anche se il conteggio definitivo è ancora in corso. La Campania si conferma al terzo posto (104), soprattutto sui lidi domizio-flegrei e nel Cilento. Sono 99 in
Puglia prevalentemente nella provincia di Lecce, mentre la Toscana ne ha 24, fra le province di Lucca e Livorno. Il Lazio 14, fra Ostia, Torvaianica, Tarquinia, Sabaudia, Nettuno e Terracina. La Sardegna 7, principalmente nel sud dell’isola, ma anche nel nuorese e nel sassarese. La Basilicata ha un numero simile. Chiudono la Liguria con 5 sulla costa di Savona e Imperia, il Molise con 2, l’Abruzzo, con una nel teramano e le Marche con un altro unico caso in provincia di Ascoli Piceno. Ampliando l’orizzonte oltre i confini nazionali, il censimento ha rilevato 12 aree sulle coste iberiche e altrettante su quelle francesi. I numeri sono inferiori rispetto a quelli dell’anno precedente, quando se ne erano contate 30 in Spagna e 14 in Francia.
Le ricerche, nell’ambito di “Life Turtlenest”, forniranno le risposte per spiegare questa variazione, grazie a un’analisi genetica approfondita degli esemplari che nidificano nei territori monitorati. In totale, sulle rive italiane, spagnole e francesi, sono stati individuati 625 luoghi di deposizione. Tale aumento è dovuto a una combinazione di fattori: l’innalzarsi delle temperature, legato ai cambiamenti climatici, ha favorito l’espansione dell’areale riproduttivo della Caretta caretta, mentre l’intensificazione del monitoraggio

«La maggior parte dei nidi - commenta Sandra Hochscheid, ricercatrice della Stazione Zoologica Anton Dohrn di Napoli e responsabile scientifico del progetto “Life Turtlenest” - è stata trovata su spiagge caratterizzate da un’elevata pressione turistica; questo ha il vantaggio che le tracce lasciate dalle femmine nidificanti o dai loro piccoli possono essere notate e segnalate dalle persone; tuttavia, pone anche una sfida immensa per la gestione e la protezione di questi nidi e dei piccoli».
Marlen/shutterstock.com
© Elen

© Vera Larina/shutterstock.com
costiero e i progetti di conservazione hanno permesso d’individuare e proteggere un maggior numero di superfici per oviposizione. Negli ultimi 25 anni, grazie al programma europeo “Life”, lo stato di conservazione della specie e degli ecosistemi marini è notevolmente migliorato.
«Il risultato straordinario di quest’anno - dichiara Stefano Di Marco, coordinatore dell’Ufficio progetti di Legambiente e project manager del “Life Turtlenest” - è la
prova concreta che la sinergia tra istituzioni, associazioni e cittadini può fare la differenza nella protezione della tartaruga marina Il progetto ci ha permesso di costruire une vera e propria alleanza con i comuni costieri, gli operatori ecologici che si occupano della pulizia delle spiagge, gli stabilimenti balneari, i turisti e le comunità locali: pur nella diversità di ruoli e obiettivi si è stabilito tra questi soggetti un ottimo rapporto di collaborazione nella convinzione che la tartaruga marina sia non soltanto una ricchezza in termini di biodiversità, ma anche una risorsa straordinaria per gli aspetti socio economici».
“Life Turtlenest” ha fatto un importante passo avanti quest’anno, lanciando i “Patti di collaborazione Amici delle tartarughe marine”. Questi accordi, sottoscritti da centinaia di Comuni e aree protette, tra cui Roma Capitale, promuovono una gestione responsabile, favorendo la conservazione della Caretta caretta. Un’altra novità è l’introduzione dei “Tartadogs”, unità cinofile addestrate dall’Enci per individuare le “piccole dimore”, che affiancano gli esperti nel monitoraggio costiero. «La maggior parte dei nidi - commenta Sandra Hochscheid, ricercatrice della Stazione Zoologica Anton Dohrn di Napoli e responsabile scientifico del progetto “Life Turtlenest” - è stata trovata su spiagge caratterizzate da un’elevata pressione turistica; questo ha il vantaggio che le tracce lasciate dalle femmine nidificanti o dai loro piccoli possono essere notate e segnalate dalle persone; tuttavia, pone anche una sfida immensa per la gestione e la protezione di questi nidi e dei piccoli che emergono, minacciati dall’inquinamento luminoso e da alcuni comportamenti, da parte di chi frequenta la spiaggia, non adeguati alla tutela della specie». Si stima la nascita di oltre 40.000 piccole tartarughe marine. Un’ondata di vita che si riversa nei nostri mari, ma che nasconde una triste verità: solo una su mille raggiungerà l’età adulta. Immaginate migliaia di piccole stelle marine che si tuffano in un abisso sconfinato. Solo una di loro riuscirà a brillare per sempre. Abbiamo, quindi, bisogno di un impegno concreto: proteggere il pelago, ridurre l’inquinamento, sostenere i progetti di conservazione, perché il futuro di un oceano dipende da ogni singola creatura che lo abita.
Stato stabilito per garantire che le attività a finanziamento comunitario non arrechino danni significativi all’ambiente, è un elemento cardine nelle politiche di sostenibilità UE
di Elena De Luca *
Il principio “Do No Significant Harm” (DNSH), elemento cardine nelle politiche di sostenibilità della UE, è stato stabilito per garantire che le attività a finanziamento comunitario non arrechino danni significativi all’ambiente. Questo principio è particolarmente rilevante per gli interventi previsti dal Piano Nazionale per la Ripresa e la Resilienza (PNRR). Il DNSH, ma soprattutto le attività connesse ai fini di una corretta applicazione, non è da confondersi con la Valutazione dell’Impatto Ambientale (VIA). La VIA è una procedura della prima fase del permitting che mira a individuare misure mitigative o compensative degli impatti ambientali di un’opera, laddove non fosse possibile eliminarli attraverso delle modifiche progettuali. L’oggetto della VIA sono prevalentemente le infrastrutture, gli impianti industriali e quelli per la produzione energetica. La procedura, che fa capo al Ministero dell’Ambiente e della Sicurezza Energetica, si basa sulla produzione di studi dettagliati da parte dei Proponenti e prevede il coinvolgimento dei portatori di interesse attraverso consultazioni pubbliche e l’espressio-
* Prima Ricercatrice ENEA, Commissione Tecnica PNRR-PNIEC MASE, Componente Comitato
Centrale FNOB con Delega Area Ambiente, Comitato Scientifico CNBA
ne delle Autorità coinvolte. Mentre la VIA è uno strumento specifico di valutazione di un singolo progetto, il principio DNSH è un criterio più ampio che guida la sostenibilità delle attività economiche connesse, come gli appalti per la fornitura di beni o servizi quali, ad esempio, l’acquisto di veicoli di veicoli e il noleggio di computer e apparecchiature elettriche. Oltre ai progetti già menzionati per la VIA, la valutazione del DNSH può riguardare progetti di risanamento urbano, di gestione delle risorse naturali e quelli riguardanti le pratiche agricole sostenibili.
Il principio si basa sei obiettivi ambientali definiti dalla Tassonomia per la Finanza Sostenibile dell’UE, individuati come segue:
• Mitigazione dei cambiamenti climatici;
• Adattamento ai cambiamenti climatici;
• Uso sostenibile e protezione delle acque e delle risorse marine;
• Transizione verso un’economia circolare;
• Prevenzione e controllo dell’inquinamento;
• Protezione e ripristino della biodiversità e degli ecosistemi.
Al fine di assicurare la conformità al DNSH delle attività previste dal PNRR, sono state sviluppate procedure di verifica che richiedono valutazioni e certificazioni specifiche.
I biologi ambientali, forti delle competenze in ecologia, monitoraggio ambientale, tecnologie analitiche, tutela della biodiversità e conservazio-

© Fotopogledi/shutterstock.com
ne della natura, possono svolgere un ruolo importante nel supporto alla Pubblica Amministrazione e al settore privato per assicurare il rispetto di questo principio.
Qualche accenno alla norma
Il Regolamento (UE) 2020/852, definendo i criteri fondanti del DNSH e i sei obiettivi ambientali, ha individuato il quadro generale per determinare se un’attività economica possa considerarsi ecosostenibile. In questa norma è contenuta la Tassonomia per la Finanza Sostenibile, un sistema di classificazione che stabilisce un linguaggio comune e una definizione chiara delle attività economiche per realizzare gli obiettivi del Green Deal europeo . Successivamente, il Regolamento (UE) 2021/2411 ha stabilito che tutte le misure dei piani di ripresa e resilienza nazionali devono soddisfare il principio DNSH.
La Guida operativa per il rispetto del principio di non arrecare danno significativo all’ambiente (cd. DNSH) , pubblicata dal Ministero dell’Economia e delle Finanze (MEF) e aggiornata più volte, fornisce supporto e orientamento sugli elementi necessari per documentare il rispetto del principio, stabilendo specifici criteri e requisiti per ciascuna attività economica caratterizzante una determinata misura del PNRR.
Nella Guida sono contenute diverse schede tecniche che includono elementi di verifica sia ex ante che ex post, ovvero dopo il completamento del progetto. Ciascuna scheda è accompagnata da una checklist strutturata in più punti di controllo,
Bibliografia
1 - https://www.italiadomani. gov.it/it/Interventi/dnsh.html
2 - https://www.rgs.mef.gov. it/_Documenti/VERSIONE-I/ CIRCOLARI/2024/22/Guida-Operativa_terza-edizione. pdf.
a cui sono associate tre risposte possibili (Si/No/ Non applicabile) e un campo per i commenti. La compilazione della checklist è a cura del soggetto attuatore e andrà verificata dalle Amministrazioni titolari di misura e, infine, dal MEF.
Opportunità per i Biologi Ambientali I biologi ambientali possono svolgere attività di consulenza o essere integrati in forma strutturata nelle stazioni appaltanti e negli operatori economici per garantire la conformità al principio del DNSH in tutte le fasi del processo. In particolare, nella fase di preparazione della documentazione DNSH, i biologi possono essere responsabili della compilazione delle checklist di controllo DNSH e della relazione DNSH, il documento di accompagnamento che descrive come il progetto rispetti i sei obiettivi ambientali. Nella fase di monitoraggio in corso d’opera, i biologi possono essere impegnati nelle verifiche tecniche, nei sopralluoghi e nella produzione della documentazione dettagliata di tutte le attività svolte. Nella fase ex post, i biologi potranno valutare l’efficacia delle misure previste dal progetto attraverso l’analisi e l’elaborazione dei dati raccolti. Infine, in un ambito più generale che riguarda i settori della comunicazione e della sensibilizzazione, i biologi possono essere coinvolti nelle attività di formazione per i funzionari pubblici, migliorando la loro comprensione delle questioni ambientali, oltre a promuovere attività di educazione ambientale e alla sostenibilità.

L’aumento delle temperature globali potrebbe cambiare definitivamente la stagione per come la conosciamo
Nell’immaginario comune, in una visione forse un po’ romantica, forse un po’ banale, l’autunno viene associato al periodo in cui l’incedere lento delle persone è attutito dal crepitio morbido delle foglie, in cui lo sguardo si colora di arancio, giallo, marrone, e l’aria profuma di vino e castagne, facendo assaporare la nostalgia dell’estate passata.
Ma se invece se ne volesse parlare da un punto di vista scientifico, questa stagione sembrerebbe offrire meno suggestioni ai ricercatori di quante non ne abbia offerte ai poeti. Il motivo
non è certo legato ad un disinteresse a priori da parte della comunità scientifica, bensì alla variabilità e alla molteplicità dei fenomeni che si avvicendano durante tale periodo. Per fare un esempio, la caduta di una foglia non è sintomo dell’avvento dell’autunno; è un po’ come il detto “una rondine non fa primavera”, la quale invece viene fatta e annunciata dallo sbocciare dei fiori. Le foglie, com’è ben noto, ingialliscono e poi cadono in autunno sostanzialmente per una questione di “risparmio energetico”: è una misura necessaria, che si verifica a seguito della diminuzione delle ore di luce e
della degradazione della clorofilla.
Qualora però la perdita e l’ingiallimento si verificassero in un periodo diverso, circoscrivendo il discorso alle piante decidue o caducifoglie, essi sarebbero sintomo di un problema della vegetazione. Il fenomeno negativo che infatti negli ultimi tempi è stato oggetto degli studi della comunità scientifica è quello che viene chiamato “falso autunno”. Esso è una strategia di sopravvivenza che la vegetazione adotta quando stressata dalle eccessive temperature estive, e consiste nell’anticipazione dei due eventi sopracitati. Il fatto che questi processi avvengano in anticipo e, quindi, in condizioni climatiche differenti, compromette la manifestazione dei colori associati alla stagione. Quello del “falso autunno” è un fenomeno che si sta verificando con sempre maggiore frequenza in diversi luoghi del mondo.
Uno studio, pubblicato sulla rivista “Nature” nel 2020 (“Increased growing-season productivity drives earlier autumn leaf senescence in temperate trees”), spiega infatti come gli aumenti della produttività primaverile ed estiva, dovuti per livelli elevati di anidride carbonica, temperatura e luce, determinino la senescenza anticipata delle foglie. Ciò che all’inizio era stato ipotizzato era un progressivo ritardo del fenomeno di senescenza (che avrebbe raggiunto le 2-3 settimane di ritardo alla fine del secolo); quello che invece sta accadendo, contro ogni previsione, è l’esatto opposto. Le conseguenze di tale anticipazione non sono legate alla sola scomparsa dell’autunno “romantico” e dei suoi colori, ma anche all’importante riduzione della capacità della vegetazione di immagazzinare CO2. Infine, l’aumento delle temperature nel periodo autunnale costituirà un problema anche per gli ortaggi tipici della stagione in virtù della progressiva scomparsa della nebbia, elemento altrettanto tipico e di fondamentale importanza per le coltivazioni.
Una dorsale oceanica è una struttura tipica della litosfera, ed è il risultato della divergenza tra due placche della crosta oceanica. La superficie terrestre è attraversata da oltre 65.000 km di dorsali oceaniche, e le più importanti sono la Dorsale Pacifica (EPR, East Pacific Rise), l’Atlantica (MAR, Mid Atlantic Ridge) e quella Indiana (Indian Ridge). Al centro di un recente studio condotto da un team di scienziati della University of Maryland c’è proprio la East Pacific Rise; o meglio, quello che si trova sotto.
Il paper, pubblicato sulla rivista “Science Advances”, racconta infatti come l’équipe guidata dal geologo Jingchuan Wang abbia scoperto una megastruttura sepolta sotto la crosta terrestre della EPR. Il fatto sensazionale risiede nella possibilità che questa parte di fondale subdotta si sia fossilizzata nel Mesozoico, precisamente tra i 250 e 120 milioni di anni fa. Prima di approfondire il metodo grazie al quale gli scienziati sono riusciti a identificare l’area, è bene ricordare che le dorsali oceaniche non sono strutture immobili, tutt’altro.
Lungo di esse, infatti, scorrono a velocità diverse le placche di crosta oceanica, che nel caso della East Pacific Rise si muovono ad una velocità compresa tra i sei e i sedici centimetri l’anno (uno dei movimenti tettonici tra i più veloci al mondo). Dunque, attraverso l’esame delle onde sismiche è stato possibile creare una mappa accurata delle struttura nascosta in profondità del mantello, nella cosiddetta “zona di transizione”. Quest’area si trova tra i 410 e 660 km di profondità sotto la superficie, ed è denominata “di transizione” perché separa il mantello superiore da quello inferiore, e si espande e contrae a seconda della temperatura. Spesso la subduzione lascia delle prove materiali e visibili,

Un gruppo di ricercatori della University of Maryland ha scoperto una megastruttura sommersa da milioni di anni
e lo studio si sviluppa esaminando i campioni di roccia o i sedimenti rinvenuti in superficie. Nel caso in esame, dal momento in cui l’area in questione si trova nel mezzo dell’Oceano un approccio di questo tipo non sarebbe stato possibile, e gli scienziati hanno pensato di ricorrere alla lettura delle onde sismiche per sondare il fondale.
Grazie a tali rilevazioni, inoltre, è stato possibile correggere le ipotesi sulla velocità del materiale all’interno della zona di transizione sottostante. È stato infatti appurato come esso si muova molto più lenta -
mente di quanto si era pensato inizialmente. Ciò suggerirebbe, anche in considerazione dello spessore della struttura, la presenza di materiale più freddo in questa regione, e tale “anomalia” spiegherebbe la velocità di movimento delle placche lungo la East Pacific Rise.
La scoperta ha messo in luce nuovi aspetti che riguardano i cambiamenti superficiali dopo milioni e milioni di anni, oltre ad aver consegnato una visione più accurata delle interazioni tra le strutture più profonde e la geologia della superficie. (M.O.).

Prodotti alimenti di origine animale in alcune piante contrastando le emissioni di CO2 degli allevamenti intensivi
Prese in considerazioni le condizioni del pianeta causate dall’eccessiva emissione di CO2, il mondo della ricerca sta provando col tempo a contribuire attraverso innovazioni che possano contrastare il cambiamento climatico. Le attività umane influenzano sempre di più il clima e la temperatura della Terra bruciando combustibili fossili e abbattendo le foreste pluviali. Ad esempio, un gruppo di ricercatori dell’American Chemical Society, un’attività fondata nel 1876 che organizza ogni anno due convegni negli Stati Uniti nel campo della chimica, guidati da Pengxiang Fan, ha
ideato una nuova tecnologia che produce alcuni nutrienti di origine animale, fondamentali per la nostra sopravvivenza, unicamente attraverso l’utilizzo delle piante. Gli alimenti di origine animale sono fonti preziose di proteine complete dal punto di vista della composizione amminoacidica. Grazie a questo nuovo metodo l’alimentazione mondiale potrebbe essere sempre di più un’alimentazione plant based. Questo poi andrebbe ovviamente a limitare le emissioni prodotte dagli allevamenti intensivi, che sono pari a circa il 15-20% di quelle globali. Lo studio è stato pubblicato sul Journal of Agricultural and Food
Chemistry, dove si spiega il modo in cui i ricercatori hanno operato per arrivare a questa scoperta. Il team scientifico ha utilizzato un batterio specializzato per trasferire all’interno delle cellule di alcune piante il Dna necessario per la sintesi di diversi aminoacidi, peptidi, proteine e altre molecole. Da questo procedimento è stata ad esempio ottenuta una lattuga arricchita con alcune componenti in grado di aiutare a ridurre la perdita di massa ossea. Il Dna che viene trasferito potrebbe però alterare il metabolismo naturale della pianta, diminuendo la produzione della sostanza desiderata. Questo avviene nei casi di sintesi di molecole più complesse.
I ricercatori si sono attivati quindi per la ricerca di una soluzione del problema, e hanno deciso di utilizzare alcuni moduli di natura sintetica che contengono i geni necessari alla sintesi di alcune sostanze, che oltre ad ottenere il prodotto desiderato, generano anche le molecole necessarie per costruirlo. Questi moduli sono stati testati nella Nicotiana benthamiana, una pianta molto simile al tabacco utilizzata come organismo modello nelle applicazioni di biologia sintetica, e hanno riguardato tre nutrienti di origine animale che sono comunemente presenti negli integratori per l’allenamento: creatina, carnosina e taurina. Per quanto riguarda le prime due, i risultati sono stati positivi, invece la taurina, presente normalmente in uova, pesci, carne e latte, è stata prodotta dalla pianta in quantità nettamente minori.
Comunque sia, il metodo proposto da poco dai ricercatori ha un grande potenziale, potrebbe essere infatti efficace per la produzione di alcuni dei nutrienti complessi che sono presenti in genere negli animali, utilizzando vegetali vivi.
Questo metodo potrebbe in un futuro essere applicato a piante commestibili, tra cui frutti o verdure, o ad altre piante che potrebbero agire come biofabbriche per produrre in modo sostenibile questi nutrienti.
Gli effetti del cambiamento climatico sono sempre più evidenti. Uno tra questi fenomeni è il greening dell’Antartide: il continente sta diventando sempre più verde a causa dell’espansione della vegetazione dovuta al riscaldamento globale. Secondo una ricerca condotta dall’Università di Exeter e Hertfordshire, insieme al British Antarctic Survey, pubblicata su Nature Geoscience, il riscaldamento globale sta trasformando profondamente il paesaggio dell’Antartide a un ritmo senza precedenti, essendo dieci volte più verde rispetto a quarant’anni fa, da 0,863 km2 nel 1986 a 11,947 km2 nel 2021. I ricercatori hanno studiato il caso avvalendosi di immagini satellitari di Google Earth e degli archivi di Landsat. Dall’analisi di questi dati si può notare che l’Antartide si sta riscaldando a una media molto più alta rispetto alla media globale. Soprattutto negli ultimi anni, dal 2016 al 2021, questa tendenza è aumentata nettamente di oltre il 30%, con un’estensione di oltre 400.000 metri quadrati all’anno. Si è così sviluppata la crescita di muschio, licheni e altre piante.
«Le piante che troviamo nella Penisola Antartica, per lo più muschi, crescono forse nelle condizioni più difficili della Terra - ha spiegato Thomas Roland, autore della ricerca ed esperto di scienze ambientali presso l’Università di Exeter - Il paesaggio è ancora quasi interamente dominato da neve, ghiaccio e roccia, con solo una piccola frazione colonizzata dalla vita vegetale. Ma quella piccola frazione è cresciuta in modo esponenziale, dimostrando che persino questa vasta e isolata ‘natura selvaggia’ è influenzata dal cambiamento climatico antropogenico».
Ha aggiunto poi Olly Bartlett, dell’Università di Hertfordshire: «Il suolo in Antartide è per lo più povero o inesistente, ma questo aumento della vita vegetale aggiungerà materia organica e faciliterà la formazione del suolo, aprendo potenzialmente la strada alla crescita di altre piante. Questo

Il continente dell’Antartide sta chiaramente cambiando a causa dei cambiamenti climatici, diventando sempre più verde
aumenta il rischio di arrivo di specie non autoctone e invasive, magari portate da ecoturisti, scienziati o altri visitatori del continente».
Durante l’estate antartica del 2022, si sono registrate temperature di 10 gradi sopra la media, mentre nel marzo dello stesso anno alcune aree hanno toccato i 20 gradi sopra la norma, segnando il record di deviazione termica più elevata mai osservata in quella regione. I ricercatori sottolineano che il fenomeno di greening è destinato a intensificarsi col tempo.
«La sensibilità della vegetazione della Penisola Antartica ai cambiamen-
ti climatici è ormai evidente e, in caso di futuro riscaldamento antropico, potremmo assistere a cambiamenti fondamentali nella biologia e nel paesaggio di questa regione iconica e vulnerabile», continua Roland.
I cambiamenti osservati dimostrano quanto il cambiamento climatico stia trasformando profondamente i luoghi anche più isolati della Terra. Proprio per questo è importante intervenire a livello globale per preservare tutti gli ambienti e garantire un futuro più sostenibile. Ogni decisione avrà un impatto significativo sul Pianeta e sulla salvaguardia degli ecosistemi antartici. (E. C.).

Una proteina, alla base della perdita della memoria e delle capacità cognitive. Lo studio su Embo Reports
Un gruppo di ricercatori dell’Istituto Superiore di Sanità, Istituto di farmacologia traslazionale del Cnr e IRCCS San Raffaele di Roma ha individuato un nuovo meccanismo molecolare alla base della perdita della memoria e delle capacità cognitive. È coinvolta una proteina, che ha il ruolo di riparare i danni del doppio filamento del DNA provocati da stress e da stimoli di natura diversa all’interno dei neuroni. La scoperta non soltanto aggiunge nuovi e importanti tasselli di conoscenza di una patologia che, sulla base dei dati dell’Istituto Superiore di
Sanità riguarda in Italia circa 2 milioni di persone, ma in futuro si stima possa aprire la strada anche a nuove possibilità nella diagnosi precoce, fornendo un nuovo biomarcatore di malattia. Lo studio, pubblicato su EMBO Reports, dimostra per la prima volta, che l’enzima DNA-PKcs, una proteina chinasi coinvolta nei meccanismi di riparazione del DNA all’interno delle cellule nervose di ognuno di noi, è localizzata nella sinapsi, cioè nel punto di contatto funzionale al livello del quale avviene la trasmissione delle informazioni tra i neuroni. I ricercatori hanno dimostrato che nelle sinapsi la
DNA-PKcs è responsabile della fosforilazione di PSD-95, una proteina responsabile dell’organizzazione delle sinapsi, della loro struttura e, di conseguenza, anche della trasmissione dei segnali. Ricordiamo, che la fosforilazione è una particolare modificazione della struttura della proteina, che consiste nell’aggiunta di un gruppo fosforico alla molecola.
Daniela Merlo, Dirigente di Ricerca del Dipartimento di Neuroscienze e Direttrice della Struttura Interdipartimentale sulle Demenze dell’Istituto Superiore di Sanità, ha spiegato: «La modificazione di PSD-95 da parte della DNA-PKcs, rende PSD-95 stabile all’interno delle sinapsi e non suscettibile di degradazione, come avviene per esempio nell’Alzheimer».
Cristiana Mollinari, ricercatrice del Cnr-Ift e Leonardo Lupacchini, ricercatore del San Raffaele di Roma, primi autori dell’articolo, hanno dichiarato: «Questa nuova scoperta dimostra che la DNA-PKcs ha un ruolo fondamentale nella memoria e nei deficit cognitivi che caratterizzano l’Alzheimer e le demenze».
Nel 2016 lo stesso gruppo di ricercatori aveva scoperto che l’attività dell’enzima DNA-PKcs viene inibita dalla beta-amiloide, la proteina che tipicamente si accumula nel cervello dei pazienti con Alzheimer. La mancata riparazione dei danni al DNA che deriva dall’inibizione di DNA-PKcs è implicata nella morte dei neuroni osservata in diverse malattie neurodegenerative, tra cui l’Alzheimer. La diminuzione dei livelli e dell’attività della DNA-PKcs è stata osservata nei cervelli di pazienti con Alzheimer.
Questo studio propone un nuovo scenario in cui nella malattia di Alzheimer, ma non solo, la ridotta attività enzimatica della DNA-PKcs, mediata dall’accumulo di beta-amiloide, provoca la riduzione dei livelli di PSD-95 nelle sinapsi dovuta alla sua mancata fosforilazione e la disfunzione delle sinapsi.
Un team dell’Istituto di genetica molecolare del Consiglio nazionale delle ricerche di Pavia ha compreso l’importante ruolo, che viene svolto dalla proteina DDX3X nel preservare l’integrità del genoma cellulare. Questa proteina agisce rimuovendo i filamenti di RNA che, se presenti in eccesso, sono causa dell’instabilità genomica e delle mutazioni in grado di alterare il corretto funzionamento del genoma stesso. I risultati della ricerca, sostenuta da Fondazione AIRC, pubblicati sulla rivista Nucleic Acids Research, potrebbero rappresentare un prezioso contributo per la ricerca di nuove strategie per combattere i processi di trasformazione tumorale.
La proteina DDX3X è in grado di rimuovere i filamenti di RNA che, quando sono appaiati al DNA e presenti in eccesso, causano instabilità genomica e mutazioni in grado di alterare i normali meccanismi di funzionamento del genoma stesso.
Giovanni Maga, ricercatore dell’Istituto di genetica molecolare del Consiglio nazionale delle ricerche, Direttore del Dipartimento di scienze biomediche dell’Ente e responsabile della ricerca, ha spiegato: «Nel nostro genoma sono presenti numerose regioni in cui al filamento di DNA sono appaiate molecole di RNA. Insieme formano dei tratti ibridi di RNA e DNA. Le strutture che essi formano, dette R-Ioops, svolgono importanti funzioni di regolazione dell’espressione dei geni. Se però sono presenti in eccesso possono causare instabilità genomica e mutazioni e un loro metabolismo alterato è caratteristico di molti tipi di tumore».
A regolare la presenza di queste strutture, preservando l’integrità del genoma, entra in scena un nuovo attore, vale a dire la proteina DDX3X. Il ricercatore Giovanni Maga ha aggiunto: «I risultati del nostro studio hanno rivelato che questa proteina è in grado di rimuovere il filamento di RNA degli R-Ioops e degradarlo, tenendone

L’integrità del genoma cellulare come “arma” contro il tumore
I risultati della ricerca su Nucleic Acids Research
sotto controllo la quantità. Non solo: abbiamo rilevato la capacità della proteina DDX3X di legarsi a particolari enzimi, tra cui in particolare l’enzima RNasiH2, già noti per la loro proprietà di degradare i filamenti di RNA e ricostruire la normale doppia elica del DNA. Da tale legame viene così potenziata l’attività di degradazione degli RNA. Anche questo aspetto è del tutto innovativo: non erano infatti noti, a oggi, fattori di supporto a tali processi enzimatici».
I risultati dello studio sostenuto da AIRC per la ricerca sul cancro, pubblicati sulla rivista Nucleic Acids
Research, potranno indicare nuove strategie per combattere l’insorgenza del cancro.
Giovanni Maga, terminando il suo intervento, ha concluso: «L’espressione di DDX3X è alterata in molti tipi di tumore e tra le numerose funzioni svolte da questa proteina ve ne sono alcune importanti nella trascrizione e nella risposta immunitaria. La scoperta di un suo ruolo essenziale nella regolazione degli R-Ioops apre nuovi scenari nella comprensione dei meccanismi con cui la cellula protegge il genoma e, allo stesso tempo, può indicare nuove strategie terapeutiche». (P. S.).

Uno studio ha indagato la funzione della corteccia visiva secondaria nei processi di apprendimento percettivo visivo
Uno studio condotto dall’Istituto di neuroscienze del Consiglio nazionale delle ricerche di Pisa, con la collaborazione del Dipartimento Neurofarba dell’Università di Firenze, ha permesso di aggiungere nuovi elementi utili alla comprensione dei processi di apprendimento percettivo visivo, abitualmente attribuiti all’area del cervello conosciuta come “corteccia visiva primaria”. La ricerca, pubblicata su Nature Communications, ha dimostrato che in tali processi sono coinvolti anche cortecce di ordine superiore, che trasmettono
informazioni aggiuntive rispetto a quelle elaborate dalla corteccia visiva primaria, in particolare su aspetti sensoriali riguardanti il contesto comportamentale in cui le attività del soggetto si svolgono. Per la prima volta viene confermato, a livello sperimentale, in modo così rigoroso il ruolo di questa parte di corteccia, testimoniando l’esistenza di un “dialogo” tra queste due aree, che finora era stato solo ipotizzato.
Alessandro Sale, dirigente di ricerca del Cnr-In e coordinatore dello studio, ha spiegato: «È noto che la corteccia visiva primaria o V1 è l’area
cerebrale che ci permette di “vedere” il mondo, analizzare e riconoscere le forme e gli oggetti così come li conosciamo e ci appaiono nella vita di tutti i giorni, ma anche di effettuare processi più complessi, fra i quali le forme di apprendimento note come “apprendimento percettivo visivo”, cioè la capacità di migliorare l’analisi della realtà grazie all’esperienza e agli stimoli che riceviamo costantemente, discriminarla, distinguere differenze sempre più sottili. Oggi, i nostri esperimenti hanno permesso di dimostrare che le proprietà funzionali dei neuroni corticali possono essere modulate anche da segnali che provengono da cortecce di ordine superiore, in particolare dalla corteccia visiva secondaria, con un flusso che possiamo descrivere “dall’alto verso il basso”, e che trasportano importanti informazioni sul contesto in cui siamo immersi. Tali informazioni si aggiungono a quelle ottenute con l’elaborazione visiva della corteccia primaria, in un coinvolgimento integrato di queste due aree».
Lo studio è stato condotto su modelli animali addestrati a svolgere un compito visivo di scelta fra stimoli visivi molto simili, diversi solo per la loro frequenza spaziale. Il ricercatore ha proseguito: «Per studiare il coinvolgimento delle aree visive di ordine superiore, abbiamo focalizzato la nostra attenzione sulla corteccia visiva secondaria latero-mediale, l’omologa della corteccia visiva secondaria dei primati (V2): utilizzando un approccio combinato basato su chemogenetica (una tecnica moderna in cui è possibile unire le conoscenze di genetica molecolare e di chimica per indagare il ruolo di circuiti neuronali specifici), analisi comportamentale e registrazioni elettrofisiologiche multicanale, abbiamo fornito prove molto evidenti del ruolo di questa parte di corteccia non solo nell’acquisizione, ma anche nella ritenzione dell’apprendimento visivo percettivo». (P. S.).
Una delle domande più affascinanti della chimica è: «Quanto tempo impiega un elettrone per dare inizio al trasferimento di carica nelle molecole?».
Un team internazionale composto da ricercatori e ricercatrici del Politecnico di Milano, del Consiglio nazionale delle ricerche con l’Istituto di fotonica e nanotecnologie e l’Istituto di struttura della materia, dell’Universidad Autonoma de Madrid, dell’Universidad Complutense de Madrid e del Sincrotrone di Trieste, ha catturato i primi istanti del trasferimento di carica in una molecola dopo l’interazione con impulsi ad attosecondi.
Lo studio è stato pubblicato su Nature Chemistry. Gli scienziati hanno misurato quanto tempo un elettrone impiega per spostarsi da un atomo al legame chimico adiacente, e quali sono i cambiamenti strutturali subiti dalla molecola nello stesso intervallo di tempo ultrarapido. Il lavoro è il risultato del progetto europeo denominato TOMATTO, finanziato da un prestigioso ERC Synergy Grant.
In natura, la fotosintesi fornisce energia a piante e batteri; nei pannelli fotovoltaici la luce del Sole viene convertita in energia elettrica. Tutti questi processi sono guidati dal movimento degli elettroni e comportano il trasferimento di carica a livello molecolare. La redistribuzione delle densità elettronica nelle molecole, dopo che queste assorbono la luce, è un fenomeno ultrarapido di grande importanza, che coinvolge effetti quantistici e dinamiche molecolari.
Rocio Borrego Varillas, ricercatrice del Cnr-Ifn, ha dichiarato: «La capacità di misurare queste dinamiche con una precisione temporale estrema non solo svela i segreti dei processi fisici, ma apre nuove strade per “progettare” molecole in grado di controllare e potenziare questi effetti». Gli studiosi hanno svelato nuovi segreti circa le dinamiche ultraveloci delle mole-

La spettroscopia ad attosecondi ha svelato i segreti del movimento degli elettroni all’interno delle molecole
cole, grazie all’utilizzo di impulsi ad attosecondi. Questa ricerca irradia di nuova luce sull’affascinante danza tra elettroni e nuclei in molecole di interesse tecnologico, portando la nostra comprensione dei processi chimici a un livello totalmente nuovo. Il trasferimento di elettroni dal gruppo amminico donatore avviene in meno di 10 femtosecondi ed è accompagnato da un movimento sincronizzato di nuclei ed elettroni. In seguito, si verifica un processo di rilassamento che si sviluppa su una scala temporale inferiore ai 30 femtosecondi. Il femtosecondo è un’unità di misura del tempo pari ad
un milionesimo di miliardesimo di secondo. Assieme allo yocto, allo zepto ed all’attosecondo, è uno degli ordini di grandezza del tempo più piccoli riportati nella nomenclatura del sistema internazionale di unità di misura.
Mauro Nisoli, Docente del Dipartimento di Fisica del Politecnico di Milano, ha affermato: «Questo studio non solo svela i misteri delle dinamiche ultraveloci nelle molecole, ma getta anche le basi per future ricerche nel settore, aprendo le porte a incredibili progressi, sia nella teoria sia nelle applicazioni pratiche della scienza degli attosecondi». (P. S.).
Ufficializzate le città candidate, entro dicembre la scelta delle dieci finaliste
Alla prescelta un contributo di un milione di euro per realizzare gli obiettivi
di Rino Dazzo

Tempio della Concordia di Agrigento, capitale italiana della Cultura per il 2025
La corsa è ufficialmente partita. Sono 17 le città che hanno perfezionato la propria candidatura a Capitale italiana della Cultura per il 2027. Uno sprint che si concluderà a marzo con l’annuncio della città designata e che avrà un primo momento importante, anche se intermedio, a dicembre, quando la lista sarà scremata a un totale di dieci finaliste. C’è da scegliere la città che, nell’elenco delle Capitali italiane della Cultura,

succederà ad Agrigento, designata per il 2025, e a L’Aquila, selezionata per il 2026. E in ballo non c’è solo il prestigio o la possibilità di essere riconosciuta come sede di eventi di grande rilievo e interesse: la vincitrice, infatti, riceverà un contributo di un milione di euro per la realizzazione degli obiettivi illustrati nel progetto di candidatura, oltre che per valorizzare e mettere in mostra nel modo più opportuno le proprie ricchezze culturali, ampliando e moltiplicando le possibilità di sviluppo. Ma quali sono le città in lizza per diventare capitale?
Cinque provengono dalla Campania: Acerra (Napoli) che ha presentato un dossier dal titolo «I Segreti di Pulcinella», Caiazzo (Caserta) con «La bellezza delle piccole cose», Pompei (Napoli) col progetto «Pompei Continuum», Sant’Andrea di Conza (Avellino) col dossier «Incontro tempo» e Santa Maria Capua Vetere (Caserta), in gara con «Cultura Regina Viarum – Spartacus Resurgit». Quattro le candidature calabresi: Aiello Calabro (Cosenza) col progetto «Ajello terra antica et grossa et

nobile et civile...», Morano Calabro (Cosenza) che ha presentato il dossier «Morano Calabro: Le Quattro Porte del Sapere. Un Viaggio tra Cultura, Scienza, Natura e Spiritualità», Reggio Calabria col programma intitolato «Cuore del Mediterraneo» e Taverna (Catanzaro) con un progetto dal nome «Bellezza interiore». In corsa anche la Puglia con tre aspiranti capitali: Alberobello (Bari) che ha messo in campo un fascicolo dal titolo «Pietramadre», Brindisi col dossier «Navigare il futuro» e Gallipoli (Lecce) con «La bella tra terra e mare».
Completano il quadro altre due candidature dal sud, la lucana Aliano (Matera) col programma «Terra dell’altrove» e la siciliana Mazzarino (Caltanissetta), con un documento dal titolo «Mazaris, il grano e le identità plurali». In gara anche tre capoluoghi di provincia del nord, due della Liguria - La Spezia col fascicolo «Una cultura come il mare» e Savona col dossier «Nuove rotte per la cultura» - e la friulana Pordenone col programma «Pordenone 2027. Città che sorprende». Il termine per la presentazione delle candidature è scaduto lo scorso 26 settembre e la prossima data da segnare in rosso è quella del 12 dicembre, quando una giuria di esperti nominati dal ministero della Cultura esaminerà in via preliminare le candidature e selezionerà un massimo di dieci finaliste, valutando la sostenibilità economico-finanziaria dei vari progetti e la possibilità

Pompei, tra le candidate Il termine per la presentazione delle candidature è scaduto lo scorso 26 settembre e la prossima data da segnare in rosso è quella del 12 dicembre, quando una giuria di esperti nominati dal ministero della Cultura esaminerà in via preliminare le candidature e selezionerà un massimo di dieci finaliste, valutando la sostenibilità economico-finanziaria dei vari progetti e la possibilità di rispettare il cronoprogramma delle attività illustrate nei diversi carteggi.
© MuhammadHanif1/shutterstock.com
di rispettare il cronoprogramma delle attività illustrate nei diversi carteggi.
I rappresentanti delle città promosse all’ultima fase della selezione saranno poi oggetto di audizioni pubbliche, che dovranno svolgersi entro il 12 marzo 2025 e che serviranno ad approfondire e a valutare meglio il dossier di candidatura, i suoi obiettivi di fondo, le modalità di realizzazione del programma presentato in sede preliminare. Una sorta di test finale, propedeutico all’assegnazione prevista qualche giorno più tardi: la proclamazione definitiva, infatti, è in calendario il 28 marzo 2025. La Capitale italiana della Cultura è un’istituzione relativamente recente e che ricalca, in piccolo, l’assegnazione da parte dell’Unione Europea del titolo di Capitale europea della Cultura a una o più città dell’UE che abbiano superato i requisiti previsti in un apposito bando. Nel caso della Capitale europea la prima edizione ha avuto luogo nel 1985, l’Italia invece ha lanciato per la prima volta un concorso volto all’individuazione di una Capitale nazionale della Cultura nel 2014.
Nel corso degli anni si sono avvicendate città d’arte e piccoli borghi, capoluoghi di provincia o di regione. Nel 2015 le città che si videro attribuire il prestigioso riconoscimento furono addirittura cinque: Cagliari, Lecce, Perugia, Ravenna e Siena. L’anno successivo è stata la volta di Mantova, nel 2017 di Pistoia mentre nel 2018 di Palermo. Parma è stata nominata Capitale italiana della Cultura per il 2020, ma l’inizio della pandemia ha fatto sì che le cerimonie e gli eventi previsti nel programma fossero attuati anche e soprattutto nel 2021. Nel 2022 è stata scelta la prima città non capoluogo, Procida, mentre nel 2023 l’hanno spuntata congiuntamente due città della Lombardia: Bergamo e Brescia. Nel 2024 è stata la volta di Pesaro, nel 2025 – come detto – di Agrigento e nel 2026 de L’Aquila. Finora dieci regioni l’hanno spuntata almeno una volta: Sardegna, Puglia, Umbria
Emilia Romagna, Toscana, Lombardia, Sicilia, Campania, Marche e Abruzzo. Nel caso di Calabria, Basilicata, Liguria o Friuli Venezia Giulia si tratterebbe di una prima assoluta.
9 NOVEMBRE 2024
Reggio Calabria
Museo Archeologico di Reggio Calabria (MaRC)
Piazza Giuseppe De Nava 26 Con il patrocinio di

Lo sloveno ha vinto il Mondiale dopo la doppietta Giro-Tour, il belga si è preso due ori alle Olimpiade, l’olandese ha centrato il nono titolo iridato in tre diverse specialità
“Storico” è un aggettivo del quale talvolta si abusa, nella narrazione sportiva. Ma ci sono tre grandi campioni di ciclismo del nostro tempo ad averlo evocato a più riprese grazie ai loro successi, su ogni fondo. Vittorie così eclatanti da scomodare paragoni pesanti con giganti del passato. Parallelismi ai limiti dell’eresia, se questi atleti non avessero compiuto imprese rare o addirittura uniche, grazie a doti di velocità, duttilità e resistenza fuori dal comune. I loro nomi, probabilmente, sono giunti anche alle orecchie di quanti non spendono propriamente ore davanti alla tv a seguire Classiche Monumento e Grandi Giri. Tadej Pogacar, Mathieu van der Poel e Remco Evenepoel: difficile non averne sentito parlare.
Pogacar è un 26enne sloveno dalle mille virtù. Forte in salita e sul passo, bravo a cronometro, efficace sullo sterrato e sul pavé. E del resto non si diventa numero 1 del mondo a caso. Poi non si cura molto dell’accusa di voler vincere sempre, senza concedere nulla ai rivali. Fra l’estate e l’inizio dell’autunno ha scritto ulteriori pagine d’oro nella storia del ciclismo. A luglio ha conquistato l’edizione numero 111 del Tour de France, la corsa a tappe più prestigiosa al Mondo, realizzando la doppietta con il Giro d’Italia che in una singola stagione è riuscita a soli sette corridori, l’ultimo dei quali Marco Pantani nel 1998. Alla “Grande Boucle”, Tadej ha vinto sei tappe, tante quante quelle firmate al Giro, battendo il record di fra-

zioni vinte nella stessa annata nei grandi giri (12 contro le 11 di Eddy Merckx nel 1970).
Ulteriore perla della carriera di Pogacar è stato il suo primo titolo di campione del mondo, conquistato il 29 settembre a Zurigo, grazie a un attacco a 100 chilometri dalla fine. Solo in due, prima, erano riusciti a imporsi al Mondiale nello stesso anno in cui si erano affermati al Giro d’Italia e al Toure France: Eddy Merckx e Stephen Roche. Pogacar, però, è andato oltre perché, rispetto a questi due grandi campioni del passato, ha impreziosito il palmares con almeno una Classica Monumento e, nello specifico, una Liège-Bastogne-Liège letteralmente dominata. Tadej ha poi “bagnato” la maglia iridata - letteralmente, vista la pioggia battente - conquistando il Giro dell’Emilia, in solitaria. Per fermarlo, è servito un evento dal richiamo biblico: il diluvio che ha portato alla cancellazione della Tre Valli Varesine, interrotta dopo 58 chilometri.
Già vincitore di una Vuelta a Espana, due titoli mondiali e altrettante Liège-Bastogne-Liège, Remco Evenepoel ha compiuto un’impresa mai vista ai Giochi olimpici di Parigi 2024, vincendo sia la cronometro che la prova in linea. Il fenomeno belga, ex calciatore di Anderlecht, Psv Eindhoven e nazionale fino all’età di 16 anni, ha prima criticato e poi domato i 32,4 km della cronometro fra le strade bagnate di Parigi, chiudendo in 36’12” e staccando di 15 secondi l’azzurro Filippo Ganna. Non pago, è andato a imporsi in solitaria anche nella prova in linea,
attaccando prima sulla butte Montmartre e poi sul muro all’altezza di Rue de Belleville, dove ha staccato il francese Valentin Madouas. Neppure una foratura a meno di 4 km dall’arrivo è riuscita a negargli la clamorosa impresa, diamante di un palmares da applausi. Evenepoel si era “rivelato al mondo” nel 2019, stabilendo tutta una serie di primati. A 19 anni e 190 giorni è diventato il più giovane vincitore di una gara World Tour, la Clasica di San Sebastian. Poi ha stabilito il record di precocità come campione europeo a cronometro élite, nonché come medagliato mondiale (argento) e come primo corridore della storia a conquistare una medaglia iridata tra gli juniores e l’anno successivo fra gli élite. Negli anni successivi il belga ha continuato a stupire, malgrado le tremende cadute al Giro di Lombardia 2020 e al Giro dei Paesi Baschi 2024, con successive operazioni e lunghi stop. E dopo le Olimpiadi si è preso la quinta maglia iridata, battendo nuovamente Ganna nella cronometro di Zurigo.
Ultimo, ma non per importanza, Mathieu van der Poel continua a macinare a sua volta titoli mondiali, in quasi tutte le specialità del ciclismo. Persa la maglia iridata a beneficio di Pogacar nella prova in linea di Zurigo, l’O-

landese Volante si è rifatto ai Mondiali di gravel a Lovanio (Belgio), dominando la scena e imponendo un ritmo impossibile per gli altri, a partire da belga Florian Vermeersch, giunto al traguardo con un ritardo di oltre un minuto. Per Mathieu, figlio e nipote d’arte (di Adrie van der Poul e Raymond Poulidor) e autore anche di sei successi in Classiche Monumento, si è trattato del nono titolo iridato, dopo i sei nel ciclocross e i due su strada, incluso quello da junior a Firenze 2013. Ora gli manca solo il Mondiale di mountain bike. Ci è andato vicino nel 2018, a Lenzerheide. E ci pensa sempre: “Non ho mai nascosto il fatto che desidero davvero il titolo mondiale di mountain bike” ha detto dopo Lovanio, aggiungendo: “Sarebbe bello se riuscissi a renderlo finalmente un vero obiettivo”.

Pogacar è un 26enne sloveno dalle mille virtù. Forte in salita e sul passo, bravo a cronometro, efficace sullo sterrato e sul pavé. E del resto non si diventa numero 1 del mondo a caso. Poi non si cura molto dell’accusa di voler vincere sempre, senza concedere nulla ai rivali.
La star del basket LeBron James ha segnato il canestro più emozionante, giocare con Bronny. Ma c’è anche chi ha sfidato l’erede o è andato in gol nella stessa partita
“Papà, giochiamo assieme?”. Quella che è un’affettuosa richiesta infantile può diventare, crescendo, un’incredibile storia di sport. Non capita tutti i giorni, del resto, soprattutto a livello professionistico, che padre e figlio (o madre e figlia) si trovino a militare nella stessa squadra e scendere in campo nella stessa partita. E quando succede non c’è canestro, gol, meta o punto che possa provocare un’emozione maggiore.
Non sarà certo per il risultato, 114-118, che la leggenda del basket LeBron James ricorderà l’amichevole precampionato Nba fra Los Angeles Lakers e i Phoenix Suns. Il match rimarrà nel cuore del The Chosen One per i quattro minuti e nove secondi giocati assieme al figlio Bronny, scelto dai Lakers all’ultimo draft. «Mi sembrava una cosa surreale, come essere su Matrix. Mi guardavo intorno e mi chiedevo se stesse succedendo davvero. E’ stato troppo bello» il commento di Lebron James dopo la sfida. Il loro è attualmente un caso più unico che raro, che ha ricordato la contemporanea presenza in campo di Dino e Andrea Meneghin, avversari nella sfida di Serie A fra Trieste e Varese nell’ottobre del 1990.
I due James, 39 anni Lebron e 20 Bronny, hanno giocato insieme nel secondo quarto, sul 34-25 per i Lakers. Alla fine del match James padre ha chiuso con 19 punti e 5 rimbalzi in poco più di 16 minuti di presenza in campo,
mentre James figlio è rimasto a secco (zero punti) in 13 minuti complessivi di gioco. Chi segue lo sport d’Oltreoceano – e ha qualche primavera ormai alle spalle - ricorderà altre storie di padri e figli, in altre discipline sportive. Il 31 agosto 1990 Ken Griffey senior e Ken Griffey junior si ritrovarono sullo stesso campo con la stessa divisa dei Seattle Mariners, in una partita di Major League, il miglior campionato di baseball al mondo. Il padre posticipò il ritiro dalle scene per giocare col figlio. E al debutto con Kansas City Royals realizzarono due dei cinque punti che decretarono il successo dei Mariners. Nella lega di hockey americano, la Nhl, Gordie Howe ha giocato addirittura con entrambi i figli, Mark e Morty, negli Hartford Whalers nella stagione 1979/1980. Gordie aveva 52 anni, i figli rispettivamente 24 e 25. Prima di ritirarsi dal calcio, a 43 anni, l’ex milanista Rivaldo ha fatto in tempo a giocare con il figlio ventenne Rivaldinho, nel luglio di dieci anni fa. E in quel match di Seconda divisione brasiliana, che entrambi hanno conservato fra i ricordi più belli, sia Rivaldo sia Rivaldinho sono andati a segno con la maglia del Mogi Mirim, in un match vinto 3-1. Quando poi si calca lo stesso terreno in Nazionale, l’evento diventa davvero unico. Anche se non si segna, né si rimane in campo assieme. Il 24 aprile 1996, durante un’amichevole con l’Estonia, l’Islanda sostituì il 34 enne Arnor Gudjohnsen con il figlio

17enne Eidur. Riflettori di periferia invece per gli svedesi Jordan e Henrik Larsson, 40 e 15 anni rispettivamente quando militarono assieme nell’Hogaborgs, club di Helsingborg di quarta divisione. L’ex Barcellona, in seguito, ha allenato il figlio nell’Helsingborg
A proposito di padri e figli, nella Nazionale di calcio è stato convocato per la prima volta Daniel Maldini, a oltre 22 anni dall’ultima presenza di papà Paolo (18 giugno 2002) e 61 anni dopo nonno Cesare. «Mi fa un bell’effetto vedere qui le foto di mio padre e mio nonno ma penso al ritiro e vivo giornata dopo giornata» il commento di Maldini, attualmente al Monza, dopo essere cresciuto nelle giovanili del Milan e passato da Spezia ed Empoli.
Non solo padri e figli, ma anche madri e figlie. Come le cestiste Laura Marcolini e Carlotta Zanardi, che hanno condiviso un anno da compagne di squadra nella Serie B lombarda di basket. Dai palazzetti ai campi di calcio: lo scorso gennaio Aurora Bisogno e la figlia Denise non solo hanno giocato assieme, ma sono andate entrambe a segno in una

A proposito di padri e figli, nella Nazionale di calcio è stato convocato per la prima volta Daniel Maldini, a oltre 22 anni dall’ultima presenza di papà Paolo (18 giugno 2002) e 61 anni dopo nonno Cesare. «Mi fa un bell’effetto vedere qui le foto di mio padre e mio nonno ma penso al ritiro e vivo giornata dopo giornata», commenta Daniel.
sfida di Eccellenza femminile vinta per 18-2 dal Sant’Antonio Abate. Calciatrici ma anche arbitre, come Elena Chiari e Alessia Stanzani, emiliane di Bentivoglio, che la scorsa primavera sono scese in campo assieme - l’una prima assistente dell’altra - nella finale giovanile Under 14. Passione di famiglia, il calcio: uno dei primi giocatori ammoniti di Elena, quando cominciò a dirigere in Seconda categoria, è poi diventato suo marito. Anche il volley ha le sue storie da raccontare. Come quella di Katarina Kovakova e Carolina Boccia, mamma e figlia, compagne di squadra lo scorso anno nella Florens Vigevano, dopo essersi affrontate da avversarie nel 2021. Come Francesca Chiappin e Sara Marini, venete di Castelfranco. Rosa Laguzza ed Elena Giacchi si sono date soprattutto il cambio da centrale nel Kamarina Vittoria, in Sicilia, ma qualche volta hanno giocato l’una al fianco dell’altra. Tale padre tale figlia, invece, in casa Del Piero: Dorotea, 15 anni, è entrata nel settore giovanile della Juventus, società della quale il padre Alessandro un’autentica bandiera, che in tanti rivorrebbero nel club. (A. P.).

Dopo anni al Manchester United e un anno di pausa, lo spagnolo De Gea si è rilanciato nella Fiorentina ed è già un idolo
Firenze si gode il “suo” David. Non quello di Michelangelo, né i due di Donatello e neppure quelli di Andrea Pisano e del Verrocchio. Il David in questione non è una statua in marmo o bronzo, anche se una statua i tifosi della Fiorentina gliel’hanno metaforicamente eretta. Perché, dopo aver qualificato la Viola alla Conference League parando il rigore dell’ungherese Szolnoky nel preliminare, il portiere spagnolo David De Gea si è ripetuto per due volte con il Milan, respingendo i tentativi di Hernandez e Abraham e regalando ai
suoi la vittoria per 2-1. E pensare che fino a pochi mesi fa era un disoccupato di lusso.
Il 34enne castigliano, infatti, è arrivato la scorsa estate con un ingaggio da due milioni di euro, dopo essere stato per cinque stagioni il più pagato del mondo: 19,5 milioni di sterline all’anno, ovvero 22 milioni di euro, dal Manchester United. Dei Red Devils l’ex portiere dell’Atletico Madrid era diventato idolo e bandiera, vincendo otto trofei e diventando il giocatore non britannico con più presenze, 545, nella storia del club. Tanti momenti belli, ma anche qualche delusione,
come la finale di Europa League 2021 persa con il Villareal dopo una serie infinita di rigori, 22, con l’errore decisivo capitato proprio a De Gea.
Lo scorso anno il portiere non ha rinnovato il contratto, cercando nuove esperienze che gli dessero gli stimoli giusti. Non l’hanno convinto le “sirene” dell’Arabia Saudita e così è rimasto fermo per un’intera stagione. “Ho ricevuto delle proposte - aveva spiegato - ma mi era difficile trovare motivazioni per valutarle, dopo tanto tempo a Manchester. Quindi ho deciso di smettere di giocare per un po’, ma non ho mai pensato di ritirarmi”.
Lo stimolo giusto è arrivato dalla Fiorentina, un contratto annuale con opzione (che probabilmente verrà già fatta scattare) per un’altra stagione. E pazienza che l’ingaggio sia “leggermente” inferiore ai fasti della Premier League: il fascino di Firenze ha vinto su tutto.
De Gea è apparso tutt’altro che un calciatore fermo da un anno. Si è fatto trovare pronto e in forma, così da strappare la maglia di titolare a Terracciano grazie a prestazioni “monstre” che hanno esaltato tanto i tifosi della Fiorentina, quanto i suoi allenatori del Fantacalcio, il gioco virtuale che premia i calciatori in base ai voti, ai gol segnati o subiti, agli assist e ai rigori parati. Penalizzando, al contempo, reti subite, autogol, rigori sbagliati e cartellini.
Del “sesto David” fiorentino, però, si sta facendo apprezzare anche il lato umano. De Gea non ha infatti esitato a spedire un videomessaggio a Martino, 16enne tifoso della Fiorentina e portiere della Sales Under 17, cui è stata diagnosticata una leucemia che dovrà curare con la chemioterapia. “Ciao Martino, sono David. Ho saputo che non stai bene – ha detto il portiere della Fiorentina al giovane supporter della Viola - ma sono sicuro che tutto andrà per il meglio. Non vedo l’ora di vederti al più presto di nuovo al campo. Forza, un abbraccio”. (A. P.).
Alla fine l’hanno spuntata i favoriti. Maximilian Maeder, 18 anni, padre svizzero e mamma di Singapore, già iridato di Formula Kite e poi bronzo alle Olimpiadi. E Jessie Kampman, 24enne francese, reduce da un infortunio che le ha impedito di giocarsi un posto per Parigi 2024. Sono stati loro a vincere, a Cagliari, il Sardinia Grand Slam e a conquistare i titoli della IKA KiteFoil World Series, il Campionato del mondo di KiteFoil, che con le sue vele è tornato a colorare il Golfo degli Angeli a Cagliari. Con loro, sui podi di tappa, Axel Mazella e Gian Stragiotti da un lato, Elena Lengwiler e l’italiana Maggie Eillen Pescetto dall’altro. Nella classifica finale del Campionato del Mondo, invece secondo posto per Martin Dolenc e terzo per l’elvetico Stragiotti fra gli uomini, bronzo per Gal Zukerman alle spalle di Kampman e Lengwiler in territorio femminile.
L’inizio dell’autunno è stato intenso sotto il profilo velico a Cagliari, con il Campionato italiano classi olimpiche a inaugurare una Sardinia Sailing Cup proseguita poi con l’IQFoil Campionato europeo open, la Foil Academi International Trophy e la Wingfoil Racing World Cup. Tra questi eventi, dall’1 al 5 ottobre, si è inserito il Sardinia Grand Slam, atteso sempre con grande trepidazione dai kiter di tutto il mondo. Cagliari e la Sardegna, peraltro, hanno giocato un ruolo di primo piano nel percorso verso il riconoscimento della spettacolare disciplina velica verso le Olimpiadi. Il capoluogo, nel 2012, ospitò la prima competizione di Kite Racing a livello mondiale.
Qualificatosi alla Grand Final al primo posto e dunque con due punti in eredità e altrettanti match point a disposizione (vince chi arriva primo a tre successi e tre punti), Maeder non ha lasciato scampo ai rivali. Velocissimo sin dalle prime fasi, è riuscito a tenersi alle spalle un altro giovane grande talento, lo svizzero Gian Stragiotti, nato nel suo stesso giorno - 12 settem-

Spettacolo di vento e vele al Sardinia Grand Slam, dove i giovani hanno vinto la prova di World Series e la classifica generale
bre - ma a un anno di distanza: Maeder nel 2006, lo svizzero nel 2007. “Si è conclusa un’altra esperienza emozionante qui al Poetto – il commento di Maeder – avevamo ottime condizioni ed è stata una battaglia molto dura. Faccio i complimenti a tutti i competitor, in particolar modo ai finalisti: Gian Stragiotti è stato l’MVP dell’evento, mi ha davvero sorpreso e anche nell’ultima gara è stata una bella lotta. La finale è andata bene per me e sono molto felice”.
Anche Jessie Kampman ha chiuso al primo match point la Grand Final, bissando il successo di Traunsee (Au-
stria) e laureandosi campionessa del mondo di KiteFoil. “Vincere questo titolo è fantastico. È stato molto bello regatare om queste finali, soprattutto con queste condizioni meteo: sono felice dei progressi fatti rispetto alla scorsa stagione” le parole di Kampman, in riferimento anche all’infortunio che l’aveva costretta ad uno stop. Ottima prestazione anche per l’azzurra Maggie Eillen Pescetto, olimpica a Parigi 2024, velocissima malgrado i materiali di precedente generazione e capace di imporsi in semifinale e di giungere seconda dietro Kampman nell’unica race della finale e terza assoluta.
Il lungo viaggio dell’agricoltura spaziale che alimenterà il futuro
di Anna Lavinia
Stefania De Pascale
Piantare patate su Marte
Aboca, 2024 – 19,50 euro
Chissà se il personaggio interpretato nel 1955 da Marylin Monroe nel film “Quando la moglie è in vacanza” avrebbe mai pensato che un giorno, in un futuro non troppo lontano, le sue adorate patatine fritte con lo champagne sarebbero state gustate anche su Marte. Forse qualcosa di simile vorrebbe scoprire l’agronoma, docente universitaria, ricercatrice e autrice di questo libro mettendo insieme origini, fatti e nuove sfide dell’agricoltura spaziale in un viaggio affascinante di appena 9 capitoli.
Il volume non è solo un manuale per futuri astronauti-agricoltori ma un prezioso alleato per l’agricoltura e la vita terrestre. Fornisce nuove idee per tutte le sfide contemporanee per la salvaguardia dell’ambiente e, perché no, potrebbe anche offrire nuovi spunti per altre scienze come quelle mediche e psicologiche. Per secoli gli umani hanno sognato di lasciare la Terra alla scoperta di nuovi mondi e con il primo allunaggio dell’Apollo 11 questo sogno è sembrato quasi realtà. Dopo quel “piccolo passo per l’uomo e grande per l’umanità” ci sono state tante altre missioni in-
terstellari ma la vera grande sfida odierna è poter supportare la vita dell’uomo nello spazio dove risorse come ossigeno, acqua e cibo scarseggiano seriamente.
Come spiega finemente De Pascale, pioniera assoluta a livello internazionale in questo campo, ci sono almeno due grandi questioni che rendono il cosmo un ambiente ancora troppo ostile e inospitale: la microgravità – la condizione in cui l’effetto della gravità su un oggetto è quasi nullo – e, forse la più significativa, l’esposizione a diverse forme di radiazioni. Per non parlare poi dell’atmosfera! Per esempio quella marziana è molto sottile e le temperature scendono di molto, si passa dai 20 ai – 153 C°.
Si comprende a pieno l’incredibile lavoro degli scienziati che quotidianamente ipotizzano come sfruttare l’agricoltura spaziale per coltivare piante in luoghi diversi, unici ed esclusivi. Idee non del tutto impossibili, chi avrebbe mai immaginato che nel 2015 l’astronauta italiana Samantha Cristoforetti avrebbe potuto gustare per la prima volta un caffè espresso in orbita? Il mondo vegetale è necessario alla vita

anche nello spazio poiché, come è noto, non è possibile trasportare molto fuori dalla Terra e l’auto sostentamento è l’unica soluzione praticabile. Le piante sono le sole in grado di rigenerare le risorse, purificano l’aria con la fotosintesi, producono acqua potabile e cibo con la traspirazione e nondimeno hanno un effetto positivo sul benessere psico-fisico degli astronauti. Gli organismi vegetali saranno alla base di un ecosistema chiuso e circolare, in cui le poche risorse disponibili saranno utilizzate al meglio. Un sistema promettente anche per i terrestri che tutti i giorni fanno i conti con la scarsità di risorse naturali. Dalla Terra allo spazio e viceversa, l’agricoltura spaziale può insegnare a coltivare meglio e in ambienti estremi come deserti, poli Nord e Sud e megalopoli. Attualmente nelle stazioni spaziali si coltivano già ortaggi da foglia (insalate) ma la strada verso l’esplorazione è lunga e molto attiva, si va verso la coltivazione di legumi, cereali, riso, grano e ovviamente patate. La vita nello spazio è ancora tutta da scrivere ma qualcosa la sappiamo già: gli astronauti del futuro saranno autosufficienti, agronomi e vegetariani.
Ronald D. Gerste
Le malattie fanno la storia
Keller, 2024 – 20,00 euro
Come sarebbe andata se… una regina inglese e un re spagnolo avessero avuto un figlio e non un tumore da combattere? E se Alessandro Magno non fosse morto a 33 anni di qualche disturbo o infezione? Un curioso viaggio nel tempo attraverso le malattie dei potenti che hanno cambiato (e avrebbero potuto cambiare) la storia. (A. L.)

Munir Achemi
Cose vive
La nuova frontiera, 2024 – 16,90 euro
G, Ernesto, Álex e Munir decidono di fare un’esperienza altrove: nel Sud della Francia per partecipare alla vendemmia e mettersi alla prova. Peccato che a causa della siccità la vendemmia non ci sarà. Tra fatiscenti allevamenti e grosse imprese biotecnologiche impareranno che tutto è cambiato. Questo è quello che si definisce un eco-thriller letterario. (A. L.)

Michela Matteoli
la fioritura dei neuroni
Sonzogno, 2024 – 17,00 euro
Il cervello è un giardino che, innaffiato a dovere, con i nuovi germogli rimpiazza i secchi che non servono più e con le nuove foglie fa sbocciare fiori che prima non c’erano. La neuroscienziata e autrice smonta i pregiudizi sul declino cognitivo e l’invecchiamento per capire come coltivare l’intelligenza a tutte le età. (A. L.)

Diagnosi precoce, adeguato approccio terapeutico e preservazione dell’integrità riproduttiva per la salute delle donne
di Daniela Bencardino *
L’endometrio è la mucosa che riveste la parte interna dell’utero. In alcuni casi, le cellule di questa mucosa possono trovarsi al di fuori della cavità uterina determinando un’infiammazione cronica chiamata endometriosi. I sintomi variano da donna a donna, manifestandosi attraverso il dolore acuto durante il ciclo mestruale (dismenorrea), il disagio durante i rapporti sessuali (dispareunia) e la capacità riproduttiva parzialmente compromessa (subfertilità). L’endometriosi ha, dunque, un impatto importante sulla qualità della vita, con conseguenze economiche e sociali [1]. Colpisce approssimativamente il 10% delle donne, con una prevalenza particolarmente elevata nella fascia di età compresa tra i 25 e i 35 anni. È importante sottolineare che tra il 35% e il 50% delle donne affette da endometriosi riscontra anche problemi di fertilità [2].
Una delle teorie predominanti riguardo alla patogenesi dell’endometriosi si concentra sul sanguinamento retrogrado attraverso le tube di Falloppio. Questo processo, causato da contrazioni uterine disfunzionali, può innescare un’infiammazione cronica nel peritoneo, caratterizzata dall’aumento di mediatori infiammatori come citochine e prostaglandine. Questo ambiente infiammatorio permanente può contribuire non solo alla perpetuazione della malattia, ma anche alla compromissione della fertilità attraverso una serie di meccanismi, tra cui alterazioni strutturali e disfunzioni ovariche. Inoltre, i cambiamenti anatomici delle arterie
* Comunicatrice scientifica e Medical writer
a spirale (le arterie che forniscono sangue all’endometrio) nella zona giunzionale possono compromettere l’impianto placentare, aumentando di conseguenza il rischio di complicanze durante la gravidanza.
La progressione della malattia è valutata in funzione della sua estensione e della localizzazione delle lesioni presenti. La stadiazione più diffusa ancora oggi risale al 1985 e divide l’endometriosi in 4 stadi (minima, lieve, moderata e severa), ma non tiene conto delle lesioni profonde. L’introduzione nel 2005 dell’Enzian score ha rappresentato un passo avanti nel comprendere la malattia, consentendo una valutazione più dettagliata della sua estensione e localizzazione. L’Enzian score, infatti, consente di descrivere il grado di profondità ed estensione di noduli vaginali, parametriali e rettali. Oggi, possiamo distinguere tre tipologie di endometriosi: peritoneale, ovarica e infiltrante profonda, ciascuna con le proprie caratteristiche morfologiche e implicazioni cliniche [3].
Endometriosi e infertilità
La relazione tra endometriosi e infertilità è clinicamente riconosciuta e ben descritta in letteratura, ma il dibattito sul rapporto causa-effetto è ancora aperto. Infatti, le cause sono multifattoriali e legate ad alterazioni genetiche e immunitarie che possono interessare diverse zone dell’apparato riproduttivo femminile oltre all’endometrio [2]. L’endometriosi peritoneale e l’infertilità
La reale incidenza dell’endometriosi peritoneale continua a essere poco chiara e, ad oggi, solo l’esame istologico con biopsia diretta in laparoscopia è in grado di identificarla in modo preciso. Questo complica notevolmente la

© K.unshu/shutterstock.com
diagnosi, portando a sottostimare il numero delle donne che soffrono di infertilità [4]. Nelle donne sane, i detriti mestruali vengono rimossi efficacemente dai macrofagi anti-infiammatori, a differenza delle donne con endometriosi, i cui macrofagi con profilo pro-infiammatorio prevalgono. Questo squilibrio nel sistema immunitario fa sì che lo stato di infiammazione cronica permanga nell’ambiente peritoneale, favorendo la formazione di aderenze e neo-angiogenesi, ostacolando ulteriormente la fertilità [5]. Il liquido peritoneale, prodotto dalle cellule mesoteliali nelle membrane addominali con la funzione di ridurre la frizione tra gli organi durante i movimenti legati alla digestione, esercita diversi effetti negativi sulla fertilità. Infatti, alcuni test di laboratorio hanno dimostrato che il liquido peritoneale prelevato da donne con endometriosi lieve può compromettere la capacità di fertilizzazione degli ovociti e lo sviluppo degli embrioni. Gli squilibri ormonali dovuti ad alterazioni del progesterone e degli estrogeni, le anomalie endocrine e ovulatorie, come la sindrome del follicolo luteinizzato non rotto e il difetto della fase luteale, possono ulteriormente compromettere la situazione [2].
L’endometriosi ovarica e l’infertilità
L’endometriosi ovarica, una delle manifestazioni più comuni della malattia, continua a sollevare interrogativi nell’ambito della medicina riproduttiva. In particolare, l’incidenza degli endometriomi ovarici nelle donne affette oscilla tra il 15% e il 44%, con una notevole proporzione dei casi che coinvolgono entrambe le ovaie (19% - 28%).
Attualmente, l’ecografia transvaginale è considerata la tecnica di imaging ottimale nel rilevare gli endometriomi
ovarici, con una sensibilità del 93% e una specificità del 97%. Tuttavia, la risonanza magnetica si conferma come uno strumento complementare, soprattutto quando sorgono sospetti riguardo a lesioni infiltrative profonde. Una delle sfide principali nell’affrontare l’endometriosi ovarica è comprendere appieno le sue implicazioni sulla fertilità femminile. Studi recenti hanno valutato l’esito riproduttivo dopo interventi chirurgici mirati agli endometriomi ovarici, registrando risultati variabili. Le evidenze raccolte finora suggeriscono un impatto negativo diretto degli endometriomi sull’ambiente ovarico. Gli endometriomi, infatti, possono provocare danni meccanici e biochimici ai tessuti ovarici sani, influenzando negativamente la fisiologia ovarica. Il contenuto dell’endometrio, ricco di mediatori infiammatori e molecole dannose, potrebbe inoltre contribuire ad alterazioni genetiche che potenzialmente predispongono a formazioni tumorali [6].
Un altro aspetto da considerare è il ruolo dello stress ossidativo che compromette la funzionalità ovarica nelle pazienti con endometrioma. Livelli alterati di molecole ossidanti e antiossidanti nel siero e nel liquido follicolare possono danneggiare il DNA e le membrane cellulari, compromettendo la qualità degli ovociti e degli embrioni. Inoltre, la presenza di endometriomi è associata a un aumento della fibrosi e a una ridotta densità follicolare, suggerendo un impatto sulla capacità riproduttiva delle pazienti [7].
Anche i dati relativi ai livelli di ormone anti-Mulleriano (AMH) risultano spesso discordanti e suscitano non pochi interrogativi. L’AMH è una proteina prodotta dalle cellule della granulosa nei follicoli ovarici ed è coinvolta nel

© Lightspring/shutterstock.com
processo di sviluppo follicolare e nella regolazione della funzione ovarica. La sua misurazione fornisce una stima della riserva ovarica di una donna, riflettendo direttamente la quantità di follicoli presenti offrendo indicazioni sulla fertilità residua. L’infiammazione cronica e i processi patologici associati all’endometriosi possono influenzare la produzione di AMH e la funzionalità ovarica [8].
Nonostante la rimozione degli endometriomi ovarici aumenti la probabilità di portare avanti una gravidanza del 40 - 50%, i danni causati dall’intervento chirurgico non devono essere sottovalutati. Possono portare a una peggiore prognosi riproduttiva con un aumento del rischio di insufficienza ovarica prematura. Inoltre, in tutte le donne sottoposte a intervento chirurgico per l’endometriosi, è stato osservato che la menopausa si è verificata a un’età relativamente giovane, con un’alta percentuale di donne con insufficienza ovarica prematura (36,4%) o che lamentavano sintomi (12,3%) [9,10].
L’endometriosi infiltrante profonda e l’infertilità
Le lesioni endometriosiche peritoneali che si infiltrano a una profondità di almeno 5 mm sotto la superficie peritoneale sono definite come endometriosi profonda. Queste lesioni possono essere individuate in molte sedi del bacino, tra cui il peritoneo pelvico, il fondo del cavo del Douglas, il retto, il setto retto-vaginale, i legamenti uterosacrali, la vagina, la vescica e l’uretere. Seppur raramente, queste lesioni sono state descritte anche in sedi extra-pelviche. L’endometriosi profonda è associata ai classici sintomi dolorosi della dismenorrea, della dispareunia profonda, e del dolore
pelvico cronico a cui si aggiunge la defecazione dolorosa. Vi è una notevole eterogeneità nella sensibilità e specificità dell’ecografia transvaginale (TVS) per la rilevazione dell’endometriosi profonda. Infatti, l’esito della diagnosi tramite TVS dipende molto dal clinico che la esegue. Di conseguenza, i dati sull’endometriosi profonda derivano da studi condotti su pazienti sottoposte a intervento chirurgico che, tuttavia, risulta complesso e spesso richiede un approccio multidisciplinare, coinvolgendo chirurghi e urologi. Nonostante la riduzione del dolore, il rischio di complicazioni gravi e il tasso di recidiva e persistenza sono molto alti. Pertanto, è stato proposto un approccio conservativo centrato sui sintomi e sulle esigenze del paziente nell’endometriosi in generale e nell’endometriosi profonda in particolare. Il potenziale dell’intervento chirurgico per l’endometriosi profonda nell’aumentare la probabilità di concepimento spontaneo non è ancora stato stabilito. Tre revisioni sistematiche della letteratura hanno riportato un tasso di gravidanza compreso tra il 42% e il 44% dopo l’intervento chirurgico per l’endometriosi retto-vaginale [11].
Preservare la fertilità in presenza di endometriosi
L’endometriosi è una patologia cronica, pertanto il trattamento e il supporto psicologico dovrebbero mirare a preservare le opzioni riproduttive delle pazienti. L’approccio terapeutico attuale è efficace nel fermare la progressione della malattia e nel ridurre il tasso di ricadute dopo l’intervento chirurgico, ma i suoi benefici per le donne con ridotta fertilità sono incerti e potrebbero anche ritardare
trattamenti più efficaci. Per le donne a rischio di progressione o che necessitano di intervento chirurgico, le tecniche di preservazione della fertilità come la criopreservazione degli embrioni o degli ovociti sono valide alternative. Queste procedure sono diventate di routine nelle cliniche che si occupano di fecondazione assistita, ma permangono alcune sfide come la necessità di stimolazione ovarica, cicli multipli e possibili complicanze come infezioni e, in casi rari, possono svilupparsi anche ascessi pelvici a seguito del prelievo degli ovociti. La criopreservazione del tessuto ovarico può essere eseguita simultaneamente alle procedure chirurgiche, anche se non è molto comune e comporta maggiore complessità procedurale e rischi. Attualmente, la vitrificazione degli ovociti che è un processo di solidificazione durante il quale gli ovociti sono trattati con sostanze crioprotettrici e immersi in nitrogeno liquido a una temperatura di -196°C sotto zero, sembra l’opzione più promettente. Diversi studi hanno dimostrato alti tassi di nascite e sopravvivenza con ovociti vitrificati nelle pazienti con endometriosi. In particolare, le pazienti più giovani, con una migliore riserva ovarica, tendono ad avere tassi di successo più elevati, sottolineando l’importanza della preservazione della fertilità prima dell’intervento chirurgico [12].
Non ci sono molte informazioni disponibili riguardo al numero di ovociti sufficienti a garantire una futura gravidanza. Sicuramente, più ovociti vengono raccolti, maggiori sono le probabilità di gravidanza e all’aumentare dell’età della donna aumenta anche il numero degli ovociti necessari. Per esempio, alcuni dati preliminari suggeriscono che la migliore possibilità di nascita di un bambino vivo è stata riscontrata con circa 15 ovociti. L’effetto dell’endometriosi sulla qualità degli ovociti è controverso. Alcuni studi hanno suggerito una compromissione della qualità degli ovociti nelle donne con endometriosi: i tassi di maturazione in vitro sono più bassi, la morfologia è più alterata e il contenuto mitocondriale citoplasmatico è più basso rispetto alle donne la cui infertilità è dovuta ad altre cause. Tuttavia, raccomandare la preservazione della fertilità senza distinzione in tutte le pazienti con endometriosi è ritenuto improprio. L’endometriosi è una patologia frequente tra le donne in età fertile ma la preservazione presenta un certo grado di invasività ed è costosa [13,14].
Conclusioni
Nelle donne con diagnosi di endometriosi è necessario attuare tutte le strategie mediche, chirurgiche, e di fecondazione assistita tenendo conto delle caratteristiche della paziente nei tempi e nei modi appropriati. L’impatto dell’endometriosi sullo stato riproduttivo è importante e a questo si aggiunge la natura progressiva della patologia. Gli studi futuri sull’endometriosi dovrebbero avere come obiettivo anche quello di valutare il rapporto costo/beneficio della
procedura di preservazione della fertilità e dei protocolli di stimolazione. Pertanto, al momento della diagnosi, la gestione deve essere progettata per l’intera vita della paziente anche in funzione del cambiamento delle abitudini riproduttive della società odierna, come il ritardo dell’età della prima gravidanza. Un’altra sfida è rappresentata dal fattore tempo perché le pazienti devono essere gestite con un trattamento adeguato e un follow-up regolare, identificando quelle che possono beneficiare della preservazione della fertilità il prima possibile.
1. Gebremedhin AT, Mitter VR, Duko B, Tessema GA, Pereira GF. Associations between endometriosis and adverse pregnancy and perinatal outcomes: a population-based cohort study. Arch Gynecol Obstet [Internet]. 2024;309:1323–31. Available from: https://doi.org/10.1007/ s00404-023-07002-y
2. Coccia ME, Nardone L, Rizzello F. Endometriosis and Infertility: A Long-Life Approach to Preserve Reproductive Integrity. Int J Environ Res Public Health. 2022;19.
3. Breintoft K, Pinnerup R, Henriksen TB, Rytter D, Uldbjerg N, Forman A, et al. Endometriosis and risk of adverse pregnancy outcome: A systematic review and meta-analysis. J Clin Med. 2021;10:1–39.
4. Dunselman GAJ, Vermeulen N, Becker C, Calhaz-Jorge C, D’Hooghe T, De Bie B, et al. ESHRE guideline: Management of women with endometriosis. Hum Reprod. 2014;29:400–12.
5. Marquardt RM, Kim TH, Shin JH, Jeong JW. Progesterone and estrogen signaling in the endometrium: What goes wrong in endometriosis? Int J Mol Sci. 2019;20.
6. Iwabuchi T, Yoshimoto C, Shigetomi H, Kobayashi H. Oxidative Stress and Antioxidant Defense in Endometriosis and Its Malignant Transformation. Oxid Med Cell Longev. 2015;2015.
7. Becatti M, Fucci R, Mannucci A, Barygina V, Mugnaini M, Criscuoli L, et al. A biochemical approach to detect oxidative stress in infertile women undergoing assisted reproductive technology procedures. Int J Mol Sci. 2018;19.
8. Lee D, Kim SK, Lee JR, Jee BC. Management of endometriosis-related infertility : Considerations and treatment options. 2020;47:1–11.
9. Garcia-Velasco JA, Somigliana E. Management of endometriomas in women requiring IVF: To touch or not to touch. Hum Reprod. 2009;24:496–501.
10. Coccia ME, Rizzello F, Mariani G, Bulletti C, Palagiano A, Scarselli G. Ovarian surgery for bilateral endometriomas influences age at menopause. Hum Reprod. 2011;26:3000–7.
11. Somigliana E, Infantino M, Candiani M, Vignali M, Chiodini A, Busacca M, et al. Association rate between deep peritoneal endometriosis and other forms of the disease: Pathogenetic implications. Hum Reprod. 2004;19:168–71.
12. Cobo A, Giles J, Paolelli S, Pellicer A, Remohí J, García-Velasco JA. Oocyte vitrification for fertility preservation in women with endometriosis: an observational study. Fertil Steril. 2020;113:836–44.
13. Sanchez AM, Vanni VS, Bartiromo L, Papaleo E, Zilberberg E, Candiani M, et al. Is the oocyte quality affected by endometriosis? A review of the literature. J Ovarian Res. 2017;10:1–11.
14. Shim YJ, Hong YH, Kim SK, Jee BC. Optimal numbers of mature oocytes to produce at least one or multiple top-quality day-3 embryos in normal responders. Clin Exp Reprod Med. 2020;47:221–6.
Raccogliere e valutare i dati relativi all’eventuale esposizione all’amianto può aiutare a diagnosticare e agire in tempo sull’aggressività della malattia
Il mesotelioma è un tumore che ha origine, nell’80% dei casi, dalle cellule sierose che rivestono le cavità pleuriche, peritoneali e pericardiche. La forma più comune è il mesotelioma pleurico seguito dai mesoteliomi peritoneali e pericardici (6-10%), mentre altre localizzazioni sono estremamente rare. Il mesotelioma colpisce prevalentemente i maschi, con un rapporto di 5:1 e un rischio che aumenta con l’età, soprattutto dopo i 65 anni. Regno Unito, Australia e Nuova Zelanda sono i paesi dove si registrano le più alte incidenze, mentre Giappone e i Paesi dell’Europa centrale presentano i valori più bassi [1]. Il novanta percento dei pazienti con mesotelioma pleurico presenta dolore associato a versamenti pleurici unilaterali, ricorrenti e sanguinolenti, che contengono solitamente cellule mesoteliali maligne. Pertanto, la citologia del versamento assume molta importanza nella diagnosi clinica dei mesoteliomi. Tuttavia, l’accuratezza diagnostica della citologia del versamento è variabile, con tassi di falsi negativi relativamente alti, dovuti a errori di campionamento e di screening. Inoltre, esiste il ben noto problema di distinguere tra cellule mesoteliali reattive/ infiammatorie e neoplastiche, e tra cellule di mesotelioma e di adenocarcinoma, e l’uso di metodi adiuvanti è altamente raccomandato e generalmente applicato di routine nella maggior parte dei centri [2].
Il mesotelioma maligno è un tumore molto raro associato all’esposizione all’amianto nell’80% dei casi. Il primo caso fu riportato negli USA nel 1967, in seguito a un’epidemia tra i minatori, stabilendo così la connessione tra esposizione all’amianto e sviluppo della malattia. Sebbene in passato fosse raro, l’incidenza è aumentata dalla seconda metà del XX secolo, a causa dell’uso indiscriminato dell’a-
mianto. L’entità reale di questa epidemia mondiale rimane sconosciuta, e attualmente, l’uso maggiore di amianto si concentra in Brasile, Russia, India e Cina [3].
Nel 12% dei pazienti affetti si riscontrano mutazioni genetiche, soprattutto nei pazienti più giovani, nelle donne, in quelli con poca o nessuna esposizione all’amianto e in quelli con una storia familiare o personale di cancro (melanoma, mesotelioma, cancro al seno). Analisi genomiche recenti hanno rivelato diverse mutazioni genetiche associate al mesotelioma. I geni comunemente mutati includono BAP1, NF2, TP53, SETD2, DDX3X, ULK2, RYR2, CFAP45 e SETD1. Il gene BAP1 è quello più frequentemente mutato, rappresentando il 3-7% dei casi [1,2].
L’Asbesto: rischi per la salute
“Asbesto” è il nome generico con cui viene indicato un insieme di sei varietà di minerali fibrosi trovati in rocce ignee e metamorfiche: crisotilo (serpentino - asbesto bianco), amosite, actinolite (anfiboli - asbesto marrone), antofillite, crocidolite e tremolite (asbesto blu). Si ritiene che le fibre più sottili e lunghe di questi minerali siano le più pericolose, poiché persistono più a lungo nella pleura, penetrano nei polmoni e causano ripetuti danni e riparazioni tissutali, oltre a infiammazioni locali [4].
L’esposizione all’asbesto e ad altri minerali fibrosi può causare diverse patologie, tra cui asbestosi, cancro ai polmoni, pleurite benigna, placche pleuriche e mesotelioma pleurico maligno. Al contrario, l’esposizione all’asbesto è solo debolmente associata al mesotelioma peritoneale maligno (solo il 33-50% dei pazienti riporta una precedente esposizione all’asbesto), e il tempo e la durata dell’espo-

© Francesco Scatena/shutterstock.com
sizione non correlano direttamente con lo sviluppo della malattia. Fino all’80% dei pazienti con mesotelioma pleurico ha avuto una precedente esposizione all’asbesto. Tuttavia, il motivo per cui solo una piccola percentuale degli individui esposti (2-10%) sviluppa il mesotelioma rimane ancora sconosciuto. Le cellule mesoteliali sono altamente suscettibili alla citotossicità dell’asbesto, e molti eventi patogeni possono contribuire alla carcinogenesi durante il lungo periodo di latenza tra l’esposizione all’asbesto e lo sviluppo del tumore. Le cellule subiscono varie alterazioni, come danni al DNA, inibizione del ciclo cellulare e apoptosi, e in risposta all’asbesto, le cellule producono anche numerosi mediatori infiammatori [5].
Infiammazione e Sviluppo del Mesotelioma Maligno I meccanismi attraverso cui l’infiammazione influisce sullo sviluppo del mesotelioma maligno non sono completamente chiari, ma molte evidenze supportano il legame tra la risposta infiammatoria locale e sistemica e la prognosi dei pazienti. Infatti, una risposta infiammatoria sistemica intensa e sostenuta, caratterizzata dalla migrazione dei leucociti e dalla secrezione di citochine, promuove la trasformazione maligna delle cellule mesoteliali. Queste attraggono cellule soppressorie derivate da mieloidi, macrofagi associati al tumore e linfociti che potenziano lo sviluppo del tumore, l’evasione dal sistema immunitario, il rimodellamento della matrice extracellulare e l’angiogenesi.
Il fattore di necrosi tumorale-alfa (TNF-α ) e il fattore nucleare-kB (NF-kB) sono coinvolti nella risposta delle cellule maligne all’amianto. La crocidolite, per esempio,
provoca l’accumulo di macrofagi nella pleura e nei polmoni, che a loro volta rilasciano TNF-α. L’attivazione del NF-kB da parte di TNF-α permette alle cellule con danni al DNA indotti dall’amianto di evolvere in mesotelioma. Infatti, causando il rilascio di specie reattive dell’ossigeno (ROS) e dell’azoto (RNS), la cui produzione è catalizzata dal ferro, le fibre di amianto possono indurre genotossicità indirettamente, portando a una vasta gamma di mutazioni.
Pertanto, una parte del meccanismo patogenetico delle fibre di amianto è associato alla loro persistenza nella pleura per lunghi periodi, innescando cicli ripetuti di lesioni/ riparazioni nel sito dell’infiammazione. La presenza di cellule infiammatorie nel tumore è infatti un fattore prognostico importante [6,7].
Diagnosi e classificazione
Il periodo di latenza tra la prima esposizione all’amianto e la diagnosi di mesotelioma è di circa 30 anni. L’assenza di un metodo efficace di screening per rilevare la malattia in fase precoce ostacola la diagnosi. Di conseguenza, il periodo di sopravvivenza dopo la diagnosi varia tra i 12 e i 30 mesi per la malattia localizzata e tra gli 8 e i 14 mesi per lo stadio avanzato. La maggior parte dei pazienti di nuova diagnosi presenta una malattia avanzata, e la terapia di prima linea prolunga la sopravvivenza mediamente di circa tre mesi.
La manifestazione clinica più comune del mesotelioma pleurico maligno è la dispnea progressiva, solitamente dovuta alla formazione di versamento pleurico, associato o meno a dolore toracico non pleuritico causato dall’inva-
sione della parete toracica. Possono essere presenti anche tosse, febbre, astenia, ipossia, perdita di peso o sudorazioni notturne. Solitamente, la malattia colpisce unilateralmente nel 95% dei casi e si localizza prevalentemente nell’emitorace destro (nel 60% dei casi). I sintomi si manifestano in modo insidioso e il tempo che può trascorrere tra quando si presentano e la diagnosi può essere anche piuttosto lungo, dai 3 ai 6 mesi, ritardando eventualmente la diagnosi che avviene in fase avanzata [8].
La diagnosi dipende da molteplici fattori come le condizioni cliniche del paziente, la qualità dell’imaging e lo stato della patologia. In particolare, il versamento pleurico è visibile all’esame fisico o alla radiografia del torace nel 95% dei casi, ma il suo volume diminuisce con la progressione della malattia. La presenza di dolore toracico o di una massa palpabile suggerisce l’invasione della parete toracica e determina l’impossibilità di intervenire chirurgicamente. La tomografia toracica, così come la risonanza magnetica toracica, consente la visualizzazione del versamento pleurico, della presenza di masse pleuriche e la valutazione dei linfonodi. Tuttavia, la risonanza magnetica è un metodo più sensibile e dovrebbe essere considerata nei casi potenzialmente resecabili. Al contrario, la PET-CT (tomografia a emissione di positroni-tomografia computerizzata) è utile per rilevare il coinvolgimento dei linfonodi, il coinvolgimento toracico e le metastasi a distanza [2].
La classificazione del 2015 dell’OMS divide il mesotelioma maligno nei sottotipi epitelioide (60-80%), bifasico (10-15%) e sarcomatoide (10%). In alcuni casi, la classificazione può essere difficile a causa della presenza di popolazioni miste. Il mesotelioma epitelioide ha caratteristiche architettoniche, citologiche e stromali che consentono di differenziarlo dalle altre neoplasie al momento della diagnosi. Nel mesotelioma epitelioide, l’atipia nucleare e la necrosi sono fattori prognostici indipendenti, consentendone la classificazione in gradi istologici bassi ed elevati. Nel mesotelioma sarcomatoide, le cellule si presentano allungate e distribuite in fasci o in un arrangiamento architettonico disorganizzato, mostrando atipia citologica da lieve a grave, oltre alla possibilità di avere elementi eterologhi. I pazienti con tumori sarcomatoidi e bifasici hanno una sopravvivenza significativamente peggiore rispetto a quelli con mesotelioma epitelioide [9].
Mutazioni del gene BPA1
Sebbene il rischio di sviluppare il mesotelioma maligno sia molto più elevato tra i lavoratori dell’industria dell’amianto, non tutti coloro che sono esposti sviluppano la malattia. Questo ha promosso la ricerca dei fattori genetici che predispongono alla malattia, soprattutto tra le famiglie con più individui colpiti, portando all’identificazione del ruolo del gene BAP1.
BAP1 è un enzima della famiglia delle idrolasi presente nei complessi di riparazione del DNA e funziona come deubiquitinasi. La sua espressione è associata a una riduzione della crescita tumorale in diversi modelli sperimentali e interagisce con proteine regolatrici del ciclo cellulare. Inoltre, BAP1 forma diversi complessi nucleari che possono regolare la trascrizione genica. Pertanto, può influenzare una varietà di funzioni cellulari, come il rimodellamento della cromatina, la progressione del ciclo cellulare, la differenziazione cellulare e la riparazione del DNA. Svolge un ruolo importante anche come inibitore dell’apoptosi causata dallo stress metabolico [10]. Circa il 60% dei casi di mesotelioma presenta alterazioni del gene BAP1, con quasi l’85% dei tumori peritoneali che mostrano queste alterazioni, rispetto solo al 20-30% dei tumori pleurici. La maggior parte delle mutazioni in BAP1 sono del tipo frameshift o missenso, risultando nella perdita di espressione della proteina. Nonostante la sua alta prevalenza, la perdita di espressione di BAP1 non ha dimostrato di influenzare la sopravvivenza complessiva, ma influisce sulla risposta alla chemioterapia. Anche le mutazioni puntiformi possono essere presenti nel gene BAP1 e possono portare alla sostituzione di amminoacidi, il cui effetto sull’attività della proteina non è sempre ovvio. Ad esempio, le mutazioni I47F, F81V, A95D e G178V portano alla perdita di stabilità della proteina e all’aggregazione amiloide. D’altro canto, queste mutazioni modificano la localizzazione subcellulare da nucleare a citoplasmatica [11].
Trattamento

La radioterapia rientra nei trattamenti del mesotelioma,

ma il tema resta ancora molto dibattuto con tassi di fallimento del 1535%. Le indicazioni principali per la radioterapia nel mesotelioma pleurico maligno (MPM) sono: radioterapia emitoracica prima o dopo la pneumonectomia extrapleurica, radioterapia emitoracica dopo decorticazione/pleurectomia e radioterapia palliativa per alleviare i sintomi locali [12].
La chemioterapia sistemica è il trattamento di scelta per la malattia non resecabile e per i pazienti con malattia recidivata o che non desiderano sottoporsi a chirurgia. I regimi contenenti platino hanno tassi di risposta più elevati rispetto a quelli senza platino [13]. L’uso di inibitori dei checkpoint immunitari (ICI) ha rivoluzionato il trattamento di vari tipi di tumore negli ultimi anni. L’immunoterapia è una modalità di trattamento che sfrutta il sistema immunitario del paziente per eliminare le cellule tumorali. Esempi di approcci immunoterapeutici attualmente in fase di studio includono inibitori dei checkpoint immunitari delle cellule T o agonisti delle vie di attivazione delle cellule T, l’uso di citochine come IL-12 e IL-15, vaccini terapeutici, l’eliminazione delle cellule immunosoppressive e la modulazione di altri componenti della risposta immunitaria [2].
Conclusioni
Il mesotelioma pleurico maligno è una malattia grave che si può prevenire dato che la sua insorgenza è legata all’esposizione all’amianto, che dovrebbe essere vietata a livello globale. Sebbene ci siano stati recenti progressi nella comprensione e nel trattamento di questa condizione, il mesotelioma rimane ancora una patologia dagli aspetti poco chiari. La conduzione di studi clinici randomizzati sarebbe un’occa-
sione per comprendere meglio la fisiopatologia della malattia e per sviluppare trattamenti più efficaci per i pazienti. Ad oggi è noto che le mutazioni del gene BAP1 influenzano in modi diversi lo sviluppo della forma tumorale. Questa variabilità può portare a una diversa sensibilità alla chemioterapia e alla radioterapia. Pertanto, è cruciale determinare con precisione lo stato delle mutazioni di BAP1 per scegliere la strategia terapeutica più efficace per ogni paziente con mesotelioma maligno. (D. B.).
1. Rao N, Wei S. Mesothelioma. Cytojournal [Internet]. 2022 [cited 2024 Jun 16];19. Available from: /pmc/articles/PMC9063505/
2. Hajj GNM, Cavarson CH, Pinto CAL, Venturi G, Navarro JR, de Lima VCC. Malignant pleural mesothelioma: an update. J Bras Pneumol. 2021;47:1–18.
3. Malignant Mesothelioma of the Pleural Space [Internet]. [cited 2024 Jun 16]. Available from: https://www.cancernetwork.com/view/malignant-mesothelioma-pleural-space
4. Yang H, Testa JR, Carbone M. Mesothelioma epidemiology, carcinogenesis, and pathogenesis. Curr Treat Options Oncol [Internet]. 2008 [cited 2024 Jun 16];9:147–57. Available from: https://link.springer.com/article/10.1007/s11864-008-0067-z
5. Zucali PA, Ceresoli GL, De Vincenzo F, Simonelli M, Lorenzi E, Gianoncelli L, et al. Advances in the biology of malignant pleural mesothelioma. Cancer Treat Rev. 2011;37:543–58.
6. Cornelissen R, Lievense LA, Maat AP, Hendriks RW, Hoogsteden HC, Bogers AJ, et al. Ratio of Intratumoral Macrophage Phenotypes Is a Prognostic Factor in Epithelioid Malignant Pleural Mesothelioma. PLoS One [Internet]. 2014 [cited 2024 Jun 16];9:e106742. Available from: https://journals.plos.org/plosone/article?id=10.1371/journal.pone.0106742
7. Yamagishi T, Fujimoto N, Nishi H, Miyamoto Y, Hara N, Asano M, et al. Prognostic significance of the lymphocyte-to-monocyte ratio in patients with malignant pleural mesothelioma. Lung Cancer [Internet]. 2015 [cited 2024 Jun 16];90:111–7. Available from: http://www.lungcancerjournal.info/article/S0169500215300209/fulltext
8. Ismail-Khan R, Robinson LA, Williams CC, Garrett CR, Bepler G, Simon GR. Malignant pleural mesothelioma: A comprehensive review. Cancer Control. 2006;13:255–63.
9. Ditri ELZ and JW. 乳鼠心肌提取 HHS Public Access. Physiol Behav. 2017;176:139–48.
10. Haugh AM, Njauw C-N, Bubley JA, Verzì AE, Zhang B, Kudalkar E, et al. Genotypic and Phenotypic Features of BAP1 Cancer Syndrome. JAMA Dermatology [Internet]. 2017 [cited 2024 Jun 16];153:999. Available from: http://archderm.jamanetwork.com/article.aspx?doi=10.1001/jamadermatol.2017.2330
11. Hakiri S, Osada H, Ishiguro F, Murakami H, Murakami-Tonami Y, Yokoi K, et al. Functional differences between wild-type and mutant-type BRCA1-associated protein 1 tumor suppressor against malignant mesothelioma cells. Cancer Sci. 2015;106:990–9.
12. Thieke C, Nicolay NH, Sterzing F, Hoffmann H, Roeder F, Safi S, et al. Long-term results in malignant pleural mesothelioma treated with neoadjuvant chemotherapy, extrapleural pneumonectomy and intensity-modulated radiotherapy. Radiat Oncol [Internet]. 2015;10:1–10. Available from: http://dx.doi.org/10.1186/s13014-015-0575-5
13. Remon J, Lianes P, Martínez S, Velasco M, Querol R, Zanui M. Malignant mesothelioma: New insights into a rare disease. Cancer Treat Rev [Internet]. 2013 [cited 2024 Jun 16];39:584–91. Available from: http://www.cancertreatmentreviews.com/article/S0305737212002447/ fulltext
È sempre una questione di “comunicazione” e di interazioni nella salute: ricercatori pionieri sviluppano sensori che svelano rilevanti meccanismi di interferenza
“Il morbo di Parkinson,” dice il dott. Eugenio Parati, neurologo,” è una patologia invalidante che colpisce in Italia circa 250mila persone, circa seimila ogni anno. È una patologia degenerativa che comporta gravi problemi ed invalidità a chi ne soffre. I primi sintomi del Parkinson sono lievi e possono sembrare scollegati tra di loro. L’evoluzione di questi sintomi è graduale e infida, pertanto ci dovrebbe essere una maggiore collaborazione tra medici di base e specialisti neurologi sul territorio. Tra i sintomi ci sono ad esempio problematiche che possono essere correlate anche ad altre patologie come lievi tremolii, difficoltà ad alzarsi da una sedia, lentezza nel parlare e nello scrivere, perdere il filo del discorso e del pensiero in generale, una sensazione di stanchezza, irritabilità e depressione senza un apparente motivo. A volte questi sintomi iniziali possono essere accompagnati anche da una ridotta sensibilità agli odori o una perdita completa dell’olfatto, oppure possono notarsi cambiamenti dell’espressione facciale, con volti definiti amimici. Nella fase più avanzata vi è una rigidità muscolare caratterizzata da tremore, però, differentemente da quanto si pensi, non sempre il tremore fa parte dei sintomi del Parkinson; una resistenza ai movimenti passivi; una bradicinesia ovvero una difficoltà da parte del paziente di iniziare un nuovo movimento del corpo. Non sempre la comunicazione tra medico e paziente aiuta nell’iter diagnostico se non effettuata in modo adeguato”. Tra i sintomi c’è una instabilità posturale e, nel caso di presenza di tremore, viene compromessa l’andatura, che prende il nome di andatura parkinsoniana con tendenza a sporgersi in avanti, fare piccoli passi veloci, avere una oscillazione delle braccia ridotta. Per monitorare meglio l’andatura è stato premiato di recente un progetto di ricerca dalla Commissione europea al concor-
so “I giovani e le scienze” presso la FAST, Federazione delle Associazioni Scientifiche e Tecniche, intitolato “Parkinson Detector: intelligenza artificiale al servizio della diagnosi medica” realizzato da Tommaso Caligari dell’ITI G. Omar di Novara che consiste nell’utilizzo di tecnologie basate sull’Intelligenza Artificiale e sul Machine Learning a supporto della diagnosi medica. Il progetto “Parkinson Detector” sviluppa un sistema per la misurazione automatizzata dei parametri legati all’oscillazione degli arti superiori durante il cammino. Il sistema si avvale di una intelligenza artificiale in grado di riconoscere la figura umana all’interno di un filmato e calcolare la posizione delle articolazioni, istante per istante, al fine di misurare con precisione gli angoli di movimento degli arti. L’obiettivo è quello di riconoscere differenze significative nella cinematica del cammino rispetto a valori di normalità estrapolati dalla letteratura specialistica, poiché la comunità scientifica sta cominciando a studiare questi parametri quali possibili indicatori precoci della malattia di Parkinson.
Il sistema proposto utilizza un computer, due telecamere e due software autoprodotti: il primo, di intelligenza artificiale, rileva i gradi angolari assunti delle articolazioni del paziente durante il cammino; il secondo effettua l’analisi dei dati per individuare eventuali asimmetrie motorie o riduzioni significative dell’articolarità. Il sistema non è invasivo e non presenta rischi clinici legati all’utilizzo di radiazioni ionizzanti o sostanze di contrasto di vario tipo. La disponibilità di un sistema che faciliti o riduca i tempi diagnostici è un grande passo avanti verso una presa in carico più tempestiva del paziente, condizione che porta benefici sul piano psicologico e che permette l’attivazione di una precoce e mirata terapia medica. “Perdita dell’olfatto, stipsi, tempi di reazione più lenti, alti livelli di emoglobina e

una eccessiva sonnolenza diurna, aumentano il rischio di sviluppare la malattia di Parkinson,” spiega il dott. Eugenio Parati, neurologo,” Il tremore, la perdita del controllo motorio e la rigidità degli arti sono i sintomi principali ma, paradossalmente, quando questi sintomi diventano evidenti e la diagnosi viene così confermata, le abilità motorie del paziente sono già significativamente compromesse, alterando notevolmente la qualità della vita. Ultimamente, in tutto il mondo, si stanno perfezionando test clinici (ad es. su sangue e saliva, sui geni…) per arrivare a individuare i cosiddetti “marcatori” che possano rendere efficace un test di laboratorio per diagnosticare la malattia di Parkinson, ma sono ancora tutti in fase di sperimentazione”. E’ sempre una questione di “comunicazione” e di interazioni nella salute e un gruppo di ricercatori pionieri, abbiamo detto prima, hanno sviluppato dei sensori che svelano rilevanti meccanismi di interferenza cellulare. Vediamo di cosa si tratta. Come avviene la comunicazione tra due organelli chiave (mitocondri e lisosomi) e come la proteina alfa-sinucleina, coinvolta nell’insorgenza di malattie neurodegenerative come il morbo di Parkinson e la malattia di Alzheimer, interferisce con questa comunicazione portando alla morte delle cellule neuronali? Se lo sono chiesto un gruppo di ricercatori italiani e i dati sono riportati in un loro recente studio pubblicato su «Nature Communications». I ricercatori dei Dipartimenti di Scienze Biomediche e di Scienze del Farmaco dell’Università di Padova infatti hanno pubblicato uno studio intitolato “A SPLICS reporter reveals α-synuclein regulation of lysosome-mitochondria contacts which affects TFEB nuclear translocation” in cui, mediante una nuova metodologia sviluppata nei loro laboratori ed ampiamente riconosciuta a livello internazionale, hanno potuto osservare come “comunicano” mitocondri e lisosomi e approfondire in che modo la proteina alfa-sinucleina interferisca con questa comunicazione portando alla morte delle cellule neuronali.
Le attività mitocondriali e lisosomiali sono cruciali per mantenere l’omeostasi cellulare: il coordinamento ottimale si ottiene nei siti di contatto con la membrana in cui distinti meccanismi proteici regolano la dinamica della rete di organelli, lo scambio di ioni e metaboliti. Nella ricerca si segnala l’esistenza di contatti lisosomi-mitocondri stretti e larghi diversamente modulati dalla mitofagia, dall’autofagia e dalla manipolazione
© Jo Panuwat D/shutterstock.com
genetica dei fattori di legame. Il tethering degli organelli è compromesso in molte condizioni patologiche e la sua caratterizzazione molecolare ha recentemente suscitato grande interesse nel mondo scientifico poiché può rappresentare un bersaglio per un intervento terapeutico ad hoc. In particolare, mitocondri e lisosomi sono funzionalmente e fisicamente strettamente interconnessi, essendo la loro disfunzione condivisa da molti disturbi neurologici. Nonostante stia recentemente emergendo la possibilità che la loro diafonia possa rappresentare un importante snodo per l’omeostasi neuronale, lo studio della loro interazione in specifici siti di contatto della membrana è ancora in gran parte inesplorato. Numerosi studi che utilizzano diverse tecniche di imaging hanno dimostrato che i siti di contatto degli interorganelli tra mitocondri e lisosomi si verificano a una distanza media tra le membrane di ~ 10 nm14 e possono formarsi dinamicamente in condizioni sane. Questi contatti sono chiaramente distinti dai contatti che si verificano attraverso le vie di degradazione lisosomiale come la mitofagia o che coinvolgono vescicole di derivazione mitocondriale. Nella ricerca viene riportata la generazione di un reporter per la prossimità lisosoma-mitocondrio (SPLICSS/L-P2ALY–MT) e la sua validazione in condizioni ben note per avere un impatto sul tethering lisosoma-mitocondrio. Viene descritta l’esistenza di almeno due tipi di siti di contatto lisosoma-mitocondri nelle cellule umane, stretti e larghi, che rispondono in modo diverso agli stimoli mitofagici o autofagici e ai cambiamenti nei livelli di specifici fattori di legame/untethering.
I mitocondri e i lisosomi sono entrambi attori importanti e riconosciuti nella dinamica del Ca2+ intracellulare e la loro
disfunzione è stata segnalata in molte condizioni patologiche in cui è presente anche una disregolazione dell’omeostasi del Ca2+. “Una volta stabilito che il nostro tool”, spiegano i ricercatori,”era affidabile e potente nel monitorare i cambiamenti nei siti di contatto lisosomi-mitocondri, abbiamo deciso di indagare su un importante problema biologico. Considerando che sono stati segnalati difetti nella funzione e nella comunicazione dei lisosomi e dei mitocondri nei processi neurodegenerativi, abbiamo deciso di esplorare se la manipolazione dei livelli di espressione della proteina α-syn correlata alla PD potesse avere un impatto sul tethering Ly-Mt e Ly-Mt Ca2+ trasferimento. Abbiamo generato un reporter geneticamente codificato per l’analisi dei siti di contatto lisosoma-mitocondri (SPLICSS/L-P2AMT-LY) aprendo alla possibilità di valutarli in vitro e in vivo, in modo semplice, a passaggio singolo e in modo semi-automatizzato. Il nostro studio riporta la generazione e la validazione sperimentale di una sonda SPLICS geneticamente codificata da utilizzare per applicazioni in vitro e in vivo. Svela l’esistenza di almeno due tipi di siti di contatto tra mitocondri e lisosomi che sono funzionalmente distinti. Ora, la sfida è comprendere i meccanismi attraverso i quali sono regolati e le implicazioni fisiopatologiche della loro modulazione. Sarà inoltre importante esplorare il loro ruolo in vivo nonché impostare uno screening ad alto rendimento di composti e/o attori all’interfaccia al fine di aprire strade per prevenire o ritardare le malattie debilitanti prendendo di mira questo percorso locale”. La ricerca è conforme a tutte le norme etiche pertinenti. Tutti gli esperimenti sui topi sono stati condotti secondo il Ministero della Salute italiano e l’approvazione del Comitato Etico dell’Università di Padova.
«Nello specifico, la ricerca che abbiamo condotto, ha permesso di identificare che alfa sinucleina, modificando le distanze che intercorrono tra i mitocondri, la centrale energetica delle cellule e i lisosomi, gli inceneritori cellulari, regola il trasferimento di segnali, gli ioni calcio, essenziali per il benessere delle nostre cellule”, sottolinea la Prof.ssa Marisa Brini del Dipartimento di Scienze del Farmaco dell’Università di Padova,” La perdita di questa funzione, dovuta per esempio all’ accumulo incontrollato di alfa-sinucleina nel sistema nervoso centrale, risulta in un indebolimento dei meccanismi protettivi che le nostre cellule possiedono per eliminare proteine/organelli non funzionanti, con conseguente danno cellulare e sviluppo di malattie neurodegenerative». La suddivisione in compartimenti cellulari con funzioni definite ha permesso alle cellule eucariotiche di evolversi adattandosi rapidamente alle condizioni ambientali e rappresenta uno degli aspetti più affascinanti della biologia moderna. Le funzioni distintive di ogni organello vengono mantenute attraverso l’isolamento e la concentrazione di specifici ioni, metaboliti ed enzimi evitando così la mescolanza indiscriminata dei loro contenuti. Tuttavia, per poter assicurare il corretto svolgimento di tutte le funzioni cellulari i diversi compartimenti devono potersi “parlare” e scambiare informa-
zioni in modo preciso e strettamente controllato al fine di garantire il coordinamento efficace delle attività cellulari. Questo livello di regolazione si attua in specifici “siti di contatto” tra le membrane di diversi organelli, che rappresentano il collo di bottiglia attraverso il quale il flusso di sostanze viene dosato accuratamente e dinamicamente e che sfida la concezione tradizionale di compartimentalizzazione cellulare. Tra gli organelli cellulari, i mitocondri e i lisosomi sono lo yin e yang del controllo energetico e metabolico e la loro comunicazione è critica per la sopravvivenza cellulare: difetti nel loro scambio di informazioni contribuiscono allo sviluppo di patologie di grande impatto sociale. Lo studio dei ricercatori dei Dipartimenti di Scienze Biomediche e di Scienze del Farmaco dell’Università di Padova è estremamente rilevante in quanto la proteina alfa-sinucleina è coinvolta nell’insorgenza di malattie neurodegenerative non solo del morbo di Parkinson, ma anche, ad esempio per la malattia dell’Alzheimer. «Gli strumenti molecolari che abbiamo sviluppato si sono rivelati indispensabili”, dice il Prof. Tito Calì del Dipartimento di Scienze Biomediche dell’Università di Padova”, per la comprensione del linguaggio attraverso cui i diversi compartimenti cellulari si scambiano informazioni vitali. Riuscire a decifrare questo linguaggio permetterà non solo di far luce sui meccanismi molecolari alla base del funzionamento cellulare, ma anche di capire quando questa comunicazione viene meno, e perché, nelle diverse condizioni patologiche evidenziando così il tallone di Achille di una specifica malattia ed aprendo la strada allo sviluppo di nuovi farmaci mirati». La disponibilità per la comunità scientifica di strumenti che permettano la comprensione dei meccanismi molecolari più fini alla base della comunicazione intracellulare apre la strada all’identificazione di nuovi bersagli farmacologici finora non esplorati.

Diversi sono i progetti europei sul Parkinson tra cui il progetto PD_Pal, primo progetto europeo multicentrico dell’area medica coordinato dall’Università degli Studi di Padova, ch ha puntato a sviluppare un approccio innovativo alla cura e ge-

© Orawan Pattarawimonchai/shutterstock.com
stione delle persone con Parkinson integrando la tecnologia nella gestione domiciliare e definendo nuovi standard europei nei percorsi di cura della malattia nella fase avanzata. Integrando strumenti elettronici per monitorare movimento e funzioni cognitive al domicilio e definendo gli standard per un percorso multidisciplinare integrato si mira a poter validare un approccio basato sul modello olandese di ParkinsonNet che consenta in Europa una gestione adeguata della persona con Parkinson anche nelle fasi più avanzate superando le barriere architettoniche e l’isolamento sociale. Il progetto “Palliative care in Parkinson’s Disease” (PD_Pal project), della durata di tre anni, ha ottenuto un finanziamento dall’Unione Europea di quattro milioni di euro all’interno del Programma quadro europeo per la ricerca e l’innovazione Horizon 2020. Il team comprendeva come capofila il Dipartimento di Neuroscienze ed il Padova Neuroscience Center dell’Università di Padova, con il coinvolgimento di altre prestigiose Università Europee, il Kings’ College e l’University College di Londra, l’Università di Nijmegen (Olanda), di Ioannina (Grecia) e di Marburg (Germania), la Società Estone per i disturbi del movimento e l’Università privata medica Paracelsus di Salisburgo specializzata nelle scienze infermieristiche e nelle cure palliative. I risultati sono a disposizione di tutti attraverso società scientifiche internazionali quali l’Accademia Europea di Neurologia (EAN) e la Società Internazionale per i Disturbi del Movimento. Anche le associazioni dei pazienti sia a livello europeo (la European Parkinson Disease Association (EPDA)) che nazionali e territoriali sono state coinvolte nella definizione dei percorsi e nella diffusione dei risultati. Responsabile scientifico del progetto era il prof. Angelo Antonini, responsabile dell’Unità per la malattia di Parkinson e disturbi del movimento della Clinica Neurologica dell’Azienda Ospedaliera di Padova. Dice il Professor Angelo Antonini coordinatore del progetto europeo: “Si stanno sviluppando terapie innovative per rallentare il decorso della malattia ed abbiamo trattamenti per consentire a molte persone con il Parkinson di convivere ade-
guatamente con i propri disturbi per decenni. Quando però i sintomi complicano la capacità di muoversi autonomamente, la qualità di vita dei pazienti e dei loro familiari è compromessa gravemente dalle difficoltà di comunicazione con i medici e le strutture di riferimento. Nel terzo millennio ci sono tecnologie che ci consentono di superare e facilitare una adeguata integrazione tra ospedale e territorio e gestire percorsi assistenziali individuali riducendo gli accessi in ospedale e garantendo una migliore qualità di vita anche a coloro che hanno gravi difficoltà motorie. L’obbiettivo è di cambiare il nostro approccio ai disturbi cronici chiedendoci come diceva Oliver Sacks ‘non quale malattia ha la persona, ma piuttosto quale persona ha la malattia’». Fornire un adeguato percorso riabilitativo a livello domiciliare definendo le necessità individuali in maniera appropriata rappresenta l’unica possibilità per limitare cadute e fratture che compromettono in maniera permanente l’autonomia di pazienti con malattie neurologiche come il Parkinson. Nel menzionare altri progetti europei di ricerca su questa patologia menzioniamo anche che l’associazione Parkinson’s Europe ha collaborato al progetto TreatER, che ha riunito partner del settore pubblico e privato di cinque Stati europei per lo sviluppo di un trattamento migliore per la malattia di Parkinson. L’obiettivo principale del progetto TreatER era condurre un primo studio clinico sull’uomo con la proteina CDNF somministrata per via intracerebrale in persone affette da malattia di Parkinson (PD) utilizzando un sistema di somministrazione di farmaci (DDS) impiantato neurochirurgicamente. Il progetto TreatER aveva due obiettivi indipendenti, ciascuno dei quali singolarmente ha un impatto significativo nell’affrontare le esigenze cliniche insoddisfatte nelle malattie croniche e nel far avanzare tecnologie europee innovative quali una prova di concetto della terapia proteica CDNF per la modificazione della malattia nel PD e una innovazione europea brevettata CDNF con un ulteriore potenziale per altre indicazioni croniche e debilitanti. L’innovazione europea brevettata DDS ha un potenziale significativo anche per altre indicazioni che necessitano di infusioni intracerebrali. Lo studio clinico si è basato su un’ampia ricerca preclinica e sui relativi dati sulla CDNF, compresi studi tossicologici acuti e cronici completati su primati non umani che supportano un eccellente profilo di sicurezza. Inoltre, lo studio clinico si è basato sull’esperienza clinica esistente nella DDS e nella neurochirurgia correlata. Il progetto TreatER è stato eseguito nel periodo 2017-2020. Il progetto ha ricevuto finanziamenti dal programma di ricerca e innovazione Horizon 2020 dell’Unione Europea con la convenzione di sovvenzione n. 732386. Parkinson’s Europe collabora inoltre con EUROPAR, un gruppo multidisciplinare formato per condurre studi clinici non motori basati sulla “vita reale” su un’ampia gamma di persone affette da Parkinson in tutta l’Unione europea. Guidato dal professor K Ray Chaudhuri, EUROPAR si concentra sulla ricerca traslazionale “dal banco al letto del paziente” (ad esempio, esaminando l’impatto che i trattamenti “nella vita reale”
come cerotti cutanei, iniezioni e infusioni possono avere sugli aspetti non motori del Parkinson) e lo sviluppo di un migliore coinvolgimento dei pazienti, dei caregivers e della società nel trattamento del morbo di Parkinson.
“Si stanno facendo molti passi avanti,” spiega il dott. Eugenio Parati, neurologo, ”lo si vede sia dai progetti europei in atto e in quelli realizzati in precedenza; sia dai progetti italiani di rilievo come quello menzionato in questo articolo in modo particolareggiato che ha consentito con un tool di sensori e una metodologia innovativa di indagare come avviene la comunicazione tra due organelli chiave (mitocondri e lisosomi) e come la proteina alfa-sinucleina interferisca con questa comunicazione portando alla morte delle cellule neuronali. Tutta la comunità scientifica internazionale terrà c\che dei risultati di questo lavoro dei ricercatori dei Dipartimenti di Scienze Biomediche e di Scienze del Farmaco dell’Università di Padova intitolato ‘A SPLICS reporter reveals α-synuclein regulation of lysosome-mitochondria contacts which affects TFEB nuclear translocation’ e io stesso, con il mio team, sto lavorando ad un progetto che migliora la qualità di vita dei pazienti e che indaga soluzioni innovative di cura.
Infine l’uso gli organoidi cerebrali nella ricerca sulla malattia di Parkinson rappresenta uno sviluppo promettente, offrendo un modello più vicino alla biologia umana per studiare la patologia e valutare potenziali trattamenti. Sebbene in crescita, questo ambito di ricerca necessita di ulteriori attenzioni e finanziamenti per espandere la comprensione dei meccanismi di malattia e accelerare lo sviluppo di terapie personalizzate. Un maggiore sostegno finanziario potrebbe favorire l’approfondimento delle ricerche attuali e l’esplorazione di nuove potenzialità degli organoidi cerebrali, contribuendo in modo significativo alla lotta contro la malattia di Parkinson.
Nella ricerca sulle malattie neurodegenerative, infatti, lo studio degli organoidi cerebrali rappresenta un modello promettente per creare modelli di malattie che riflettano le caratteristiche genetiche e biochimiche specifiche dei pazienti.
In questo contesto, gli organoidi consentono di approfondire i modelli di medicina personalizzata: a) permettendo di adattare i trattamenti in modo preciso alle esigenze specifiche di ogni individuo, b) migliorando l’efficacia terapeutica, c) riducendo al minimo gli effetti collaterali e, d) offrendo cure più mirate che aumentano la qualità della vita dei pazienti affetti da malattie come il morbo di Parkinson. “Gli organoidi neuronali,” dice il dott. Eugenio Parati,” combinati con un approccio di medicina personalizzata, possono potenziare significativamente i seguenti ambiti: Clinical Trial on a Dish- Modelli in vitro per condurre studi clinici. Nello specifico, gli organoidi derivati dal paziente consentono di valutare la risposta individuale ai trattamenti e identificare terapie ottimizzate per specifiche varianti genetiche o patologiche; Drug Screening/ Discovery- Screening e scoperta di nuovi farmaci. Gli organoidi paziente-specifico consentono di identificare trattamenti efficaci per specifiche varianti genetiche / profili patologici e di valutare l’efficacia e/o la tossicità dei composti chimici. Questo approccio
riduce la necessità di testare i farmaci su modelli animali e umani e aumenta la probabilità di successo nello sviluppo di terapie personalizzate; Studio Elettrofisiologico- comportamento elettrofisiologico in condizioni normali e patologiche. Integrando l’approccio della medicina personalizzata, gli organoidi vengono utilizzati per valutare l’attività elettrica delle cellule neuronali, consentendo di studiare l’elettrofisiologia di ciascun individuo e identificare eventuali anomalie legate alla patologia. Ciò può fornire preziose informazioni per lo sviluppo di terapie mirate che ripristinino la funzione neuronale compromessa nella malattia di Parkinson e altre patologie neurodegenerative. L’importante”, conclude il dott. Parati,” è proseguire uniti, utilizzando i fondi europei, partecipando ai bandi Horizon Europe per fare passi avanti in modo sinergico a favore dei cittadini”.
Giacomello, M., Pyakurel, A., Glytsou, C. & Scorrano, L. The cell biology of mitochondrial membrane dynamics. Nat. Rev. Mol. Cell Biol. 21, 204–224 (2020).
Mc Donald, J. M. & Krainc, D. Lysosomal proteins as a therapeutic target in neurodegeneration. Annu Rev. Med. 68, 445–458 (2017).
Venditti, R., Wilson, C. & De Matteis, M. A. Regulation and physiology of membrane contact sites. Curr. Opin. Cell Biol. 71, 148–157 (2021).
Petkovic, M., O’Brien, C. E. & Jan, Y. N. Interorganelle communication, aging, and neurodegeneration. Genes Dev. 35, 449–469 (2021).
Gordaliza-Alaguero, I., Canto, C. & Zorzano, A. Metabolic implications of organelle-mitochondria communication. EMBO Rep. 20, e47928 (2019).
Prinz, W. A., Toulmay, A. & Balla, T. The functional universe of membrane contact sites. Nat. Rev. Mol. Cell Biol. 21, 7–24 (2020).
Deus, C. M., Yambire, K. F., Oliveira, P. J. & Raimundo, N. Mitochondria-Lysosome crosstalk: from physiology to neurodegeneration. Trends Mol. Med. 26, 71–88 (2020)
Wong, Y. C., Ysselstein, D. & Krainc, D. Mitochondria-lysosome contacts regulate mitochondrial fission via RAB7 GTP hydrolysis. Nature 554, 382–386 (2018).
Wong, Y. C., Kim, S., Peng, W. & Krainc, D. Regulation and function of mitochondria-lysosome membrane contact sites in cellular homeostasis. Trends Cell Biol. 29, 500–513 (2019).
Itoh, K. et al. A brain-enriched Drp1 isoform associates with lysosomes, late endosomes, and the plasma membrane. J. Biol. Chem. 293, 11809–11822 (2018).
Han, Y., Li, M., Qiu, F., Zhang, M. & Zhang, Y. H. Cell-permeable organic fluorescent probes for live-cell long-term super-resolution imaging reveal lysosome-mitochondrion interactions. Nat. Commun. 8, 1307 (2017).
Bonam, S. R., Wang, F. & Muller, S. Lysosomes as a therapeutic target. Nat. Rev. Drug Discov. 18, 923–948 (2019).
Ballabio, A. & Bonifacino, J. S. Lysosomes as dynamic regulators of cell and organismal homeostasis. Nat. Rev. Mol. Cell Biol. 21, 101–118 (2020).
CORSO DI FORMAZIONE AMBIENTALE
Il Testo Unico Ambientale Dlgs 152/06 e le modifiche in
E-learning
9 e 10 dicembre 2024
Crediti ECM per gli iscritti all’albo
In attesa di accreditamento (Presenza ad almeno il 75% della durata)
Il corso Fad associato a questo articolo dà la possibilità agli iscritti all’albo dei biologi di acquisire 12 crediti Ecm
Consulta l’area riservata MyBio
L’articolo è associato al corso Fad da 12 crediti Ecm disponibile nell’area riservata MyBio
*
di Elvira Tarsitano
L’acqua, risorsa indispensabile per la vita di ogni essere umano e vivente ma anche per garantire le attività produttive e la sopravvivenza del pianeta, sta diventando più “rara” a causa non solo dell’aumento progressivo dei consumi, ma soprattutto delle crescenti forme di inquinamento, dall’assenza di politiche di governo improntate alla sostenibilità ed al rispetto del ciclo naturale della risorsa acqua e consumo del suolo.
A questi fattori si deve aggiungere la presa d’atto, denunciata da qualificati rapporti internazionali, che in diversi paesi europei, fra cui l’Italia, da molti anni il prelievo di acqua, per tutti gli usi, è superiore alla disponibilità accumulata tramite il ciclo naturale e che i cambiamenti climatici determineranno un peggioramento della disponibilità di acqua sul pianeta terra.
Queste dinamiche di sovra utilizzo stanno mettendo in crisi molti paesi la risorsa e se associamo a queste tendenze anche i risultati derivanti dal cambiamento climatico – ovvero maggiore desertificazione e cambiamenti nella distribuzione e concentrazione delle piogge – è facilmente immaginabile quali saranno gli effetti di una cattiva gestione delle risorse anche in Europa e in Italia, non solo nelle regioni a maggiore rischio con compromissione degli ecosistemi e della biodiversità. Infatti, nell’ultimo decennio in Italia si registrano variazioni delle temperature con un aumento della temperatura massima di circa 0.6° C al nord e di 0.8 al sud.
* Federazione Nazionale degli Ordini dei Biologi/Università degli
Studi di Bari Aldo Moro
Variazione delle precipitazioni con una tendenza in tutte le regioni di un aumento dell’intensità delle precipitazioni ed una diminuzione della durata in termini di giorni di pioggia. Variazione del livello del mare con la registrazione di una anomalia del mar Mediterraneo che non cresce di livello come gli oceani, si osserva da un lato un aumento dell’evaporazione a causa del riscaldamento globale e dall’altro a causa della riduzione delle precipitazioni una diminuzione dell’apporto idrico dei fiumi e delle acque interne che di conseguenza portano ad un aumento della salinità del mediterraneo. Variazione della qualità dei suoli e rischio di desertificazione a causa oltre che dei cambiamenti climatici anche dell’impatto delle attività umane che esercitano una forte pressione antropica sul territorio, per cui si registra una progressiva perdita di biodiversità. L’intensità di certi disastri in zone a rischio risulta amplificata ed è la conseguenza dei cambiamenti nella erosione del suolo a causa degli impatti degli insediamenti umani con conseguente aumento della forza distruttiva dell’evento. Gli eventi estremi si verificano sempre più spesso con maggiore frequenza e con elevata intensità. Si stima che sul territorio nazionale più del 2,6% sono aree a rischio inondazione, frane. Gli scenari futuri per l’Europa, l’Italia e per le regioni che si affacciano sul bacino del Mediterraneo non sono dei più rosei.
Materiali e metodi
Validi strumenti di lavoro per la tutela della risorsa acqua sono la realizzazione di ecobilanci ed ecopiani, finalizzati a conoscere lo stato di salute dell’ambiente e l’elaborazione di piani dettagliati e particolareggiati. Il potenziamento e miglioramento degli elementi di risposta, valutati in sede

Fig. 1 Ciclo dell’Ecogestione. Il funzionamento del sistema di Ecogestione richiede un importante lavoro di aggiornamento ed elaborazione di dati, nonché di lettura su più livelli delle informazioni che discendono dall’analisi dei dati stessi.
di ecobilancio, si realizza con la ridefinizione della gestione tramite una sua impostazione ambientalmente corretta. Tramite le metodologie di ecopiano, che utilizzano lo sviluppo di carte tematiche come strumento conoscitivo e di orientamento, si effettua una valutazione ed una scelta delle soluzioni di pianificazione sostenibili: Ecogestione o Ecomanagement (Figura 1). Criteri ecologici di tutela e progettazione consentono anche l’individuazione di validi indicatori di sostenibilità. L’uso di indicatori di sostenibilità deve essere applicato comunque con cautela, cercando di evitare di cadere in nuove forme di riduzionismo dei fenomeni complessi che si verificano negli ecosistemi urbani, continuando a considerarli nella loro globalità, ma anche nelle loro proprietà specifiche, rapportandoli quindi su scala locale.
L’elaborazione dei dati raccolti durante le diverse fasi di intervento e le valutazioni conclusive si effettuano con il metodo del Bilancio Ecologico Territoriale (BET).
In base allo screening iniziale, il metodo BET è impostato principalmente sull’analisi generale e settoriale degli elementi che contribuiscono a definire i fattori in gioco: input/output del BET. In particolare, si considerano, per ogni componente ambientale, i relativi fattori di incidenza e le azioni antropiche esercitate; individuazione di indicatori generali riferibili ai diversi settori per poi passare alla scelta e alla ponderazione degli indicatori specifici, il tutto in un’ot-
tica di tipo olistico; seguita poi da una fase di aggregazione o ponderazione degli indicatori sia generali che specifici per la costruzione di indici; infine si possono costruire modelli di simulazione della realtà considerata, con previsione di fasi di aggiornamento in itinere. Le valutazioni sono relative, soprattutto, ai livelli di vulnerabilità, di criticità, di potenzialità dell’ecosistema studiato come per esempio quello acquatico. Al termine della fase di valutazione si definisce una matrice di sostenibilità (cause/effetti e relativi livelli di incidenza) e redazione di programmi d’intervento con proposte di modifica degli attuali livelli di gestione tecnica della risorsa acqua.
Aspetti igienico sanitari e ambientali: Analisi dei rischi
La formulazione di adeguati criteri di qualità igienico- sanitari dovrebbe basarsi su un set di dati a cui dovrebbero essere applicati adeguati “fattori di sicurezza” che consentano l’estrapolazione dei valori sperimentali ad un livello che si possa considerare adeguatamente protettivo per l’Ambiente e per la Salute Pubblica nella gestione del ciclo dell’acqua (Figura 2). Un esempio classico è il riutilizzo dei reflui urbani in agricoltura. I reflui urbani potenzialmente possono essere veicolo di numerosi agenti patogeni (virus, batteri, protozoi, elminti, uova e cisti). In questo caso è estremamente importante riuscire a fare una distinzione tra i rischi reali e rischi potenziali, la valutazione deve essere la più obiettiva possibile e vicina alla realtà. Il controllo degli scarichi, fissando limiti di qualità degli effluenti in uscita dagli impianti di depurazione esistenti con igienizzazione finale per lo scarico sul suolo e nei corpi idrici recettori, non garantisce in assoluto condizioni di massima sicurezza igienico- sanitaria e ambientale. I trattamenti convenzionali di correzione dei parametri della carica patogena, come la disinfezione chimica dei reflui, non danno la sicurezza di non contaminazione: virus, protozoi e cisti sono diffusi nell’ambiente. La disinfezione genera spesso, anche, delle forme cellulari “danneggiate” (injured cell) che, in condizioni favorevoli, possono riassorbire i danni subiti e rivitalizzarsi. Di per se, il buon funzionamento di un impianto di depurazione, anche laddove il refluo potenzialmente potrebbe fuoriuscire senza contaminanti patogeni, non elimina i rischi della presenza nell’ambiente, in generale, di agenti patogeni legati ad un irrazionale uso delle risorse. E’ necessario incoraggiare tutti gli sforzi per ridurre l’esposizione ad agenti patogeni idrodiffusi attraverso la corretta applicazione di misure di Igiene pubblica, in un ottica di salvaguardia a monte. Le attuali mi-

sure di prevenzione igienico- sanitarie impongono di procedere a trattamenti di disinfezione spinta, allo scopo di eliminare o ridurre la carica inquinante dovuta ad agenti patogeni che provocano il cosiddetto “inquinamento primario”. Il passaggio successivo, trattamento del refluo con agenti chimici disinfettanti da luogo ad “inquinamento secondario”, dovuto alla formazione di sottoprodotti (DBP), responsabili dei rischi sanitari correlati a questi prodotti. Spesso, gli aspetti riguardanti gli effetti tossicologici e ecotossicologici con fenomeni di bioaccumulo, biomagnificazione a medio e lungo termine sono trascurati. L’obiettivo da raggiungere nella gestione delle acque reflue è un giusto equilibrio tra rischi infettivi e rischi tossicologici, che vede inevitabilmente coinvolti sia esperti d’Igiene pubblica che esperti d’Igiene ambientale. Perciò, il rischio della diffusione di agenti patogeni trasmessi dall’irrigazione con reflui dipende dalla scelta delle soluzioni adottate. Il fattore rischio è correlabile con la qualità del refluo che arriva all’impianto di depurazione. La garanzia di adeguate misure igienico- sanitarie si ottengono soprattutto con adeguate misure di prevenzione piuttosto che fissare strettissimi vincoli. È ovvio, alcuni rischi ambientali, derivanti dal riutilizzo dei reflui civili in agricoltura, non sono totalmente superabili nel breve termine. Tuttavia, una sovrastima di tali rischi, lontana dal rappresentare una tute-
la igienico- sanitaria e ambientale, magari eccessivamente cautelativa rischia di determinare in pratica l’assegnazione arbitraria di una preferenza alla soluzione dello scarico prevalentemente in mare con il conseguente trasferimento degli impatti, spesso aggravati da una componente ambientale ad un’altra. Per questo motivo, si dovrebbe scegliere, caso per caso, quella modalità di gestione che ottimizzi i benefici, in rispetto delle condizioni igienico- sanitarie e ambientali e che comporti il minimo impatto con individuazione di indicatori di qualità igienicosanitaria.
Discussione e Conclusioni
La questione “acqua” in Italia assume oggi particolare rilevanza sotto molti punti di vista; tra questi si citano, come particolarmente significativi, il mai risolto bilancio fra le poche disponibilità e le molte richieste, e la valutazione degli effetti dovuti agli eventi estremi, in particolare quelli di piena. La soluzione che si può dare a questi problemi non è unica e dipende molto dall’obiettivo che si intende perseguire: in passato, spesso, esso è stato prevalentemente economico e si è concretizzato nella realizzazione di nuove opere, individuate attraverso procedure fin troppo sbrigative, talvolta nemmeno in grado di raggiungere l’obiettivo per cui esse erano state individuate. Infatti, la tutela delle risorse idriche e la qualità delle acque dopo i trattamenti di depurazione sono oggi argomento di numerosi dibattiti su cui si polarizzano diversi interessi. Le conoscenze scientifiche accompagnate da soluzioni innovative molto spesso incontrano difficoltà applicative per diverse ragioni. In alcuni casi legate alla scarsa sensibilità ambientale di molte Amministratori a pretestuali usi a fini squisitamente politici. In altri casi, la sentita esigenza di tutelare la qualità delle acque, manifestata dall’”attento” Amministratore e imposto dalle normative vigenti non sempre trova le coperture finanziarie nei delicati bilanci o la soluzione più ecocompatibile. In questo contesto, l’esigenza di dettare nuove disposizioni per fronteggiare situazioni di emergenza di carattere socioeconomico e ambientale non può non considerare la possibilità di generare altri rischi di diversa natura a medio e lungo termine. Argomento di cronaca attuale è il cattivo stato di salute delle acque di alcuni tratti di costa italiani tanto da
costituire un problema che assume caratteri rilevanti con ricaduta negativa sull’intera comunità.
L’attuale modello di depurazione delle acque si basa sul collettamento di grossi volumi di acqua e con reflui quantitativamente e qualitativamente molto diversi tra loro e con innumerevoli variabili, che lasciano il ciclo dell’acqua aperto con notevoli ripercussioni sugli ecosistemi marini che risultano così gravemente compromessi (Figura 3). La principale causa del cattivo funzionamento dei depuratori esistenti, come pure l’esalazioni di odori molesti, è dovuta proprio a questo modello di gestione, che si continua a proporre come soluzione nonostante l’ormai accertato fallimento. Molte zone da nord a sud della dell’Italia, nonostante la presenza di depuratori che scaricano a mare le acque depurate, risultano gravemente compromesse ed in alcuni casi è addirittura vietata la balneazione. L’acqua deve tornare nell’ambiente seguendo il suo ciclo. Lo scarico a mare di ingenti volumi di acque depurate, ecologicamente è una delle scelte meno convenienti. Ovunque scaricati in alta concentrazione, in un volume limitato di corpo recettore, i reflui anche quelli depurati producono inquinamento. Queste aree ristrette, infatti, dovendo recepire grandi quantità di sostanze complesse, non sono in grado in tempi brevi di degradarle e di restituire gli elementi che le compongono all’ambiente in forma diffusa, reinserendoli nei cicli naturali della materia. L’ambiente in queste zone si degrada a causa di uno scompenso, di un’alterazione degli equilibri. Per questo, negli interventi di programmazione di costruzione di nuovi impianti e di adeguamento degli impianti di depurazione esistenti, disposti dalle attuali Autorità competenti, si devono prevedere una serie di operazioni tese al miglioramento della qualità dei reflui che arrivano agli impianti come garanzia di un efficiente processo di depurazione e che diano senso a determinate misure di controllo. In questo modo il problema del cattivo funzionamento dei depuratori è affrontato prima di tutto a monte, tendendo a rimuovere a questo livello le cause di disfunzione, e solo successivamente nello specifico. Così come per i rifiuti, anche per le acque si deve puntare su una “depurazione differenziata e decentrata” per ottenere reflui che rispecchino determinati standard di qualità. La realizzazione di altri interventi di progettazione deve predisporre una pianificazione legata a interventi puntuali più che a grandi interventi (megaimpianti) ad elevato impatto ambientale e paesaggistico; interventi di tute-
la mirati al recupero del territorio; soluzioni alternative e più ecologicamente corrette con l’applicazione di tecniche sostenibili, anziché la costruzione di altri impianti che vadano nella direzione di una bioeconomia circolare ed in linea con il raggiungimento degli obiettivi dell’Agenda 2030. Inoltre, la corretta informazione, educazione e consapevolezza dei cittadini ha, quindi, un ruolo determinante, non solo perciò che materialmente essi scaricano nei lavandini e nei water, ma anche nel rilevare e denunciare illeciti di cui vengono a conoscenza (tipo scarichi notturni nei tombini della fogna), o a prevenirli, ad esempio attraverso il rispetto delle norme sulla fatturazione degli interventi di autospurgo. Sensibili risultati si possono ottenere con sistematiche campagne di informazione ed educazione capillare dei cittadini, gestite sia tramite la diffusione ed illustrazione di opuscoli, che a mezzo spot presso i media locali, che tramite seminari o proiezioni di materiale audiovisivo presso le scuole, le parrocchie e tutti i centri di aggregazione sociale. Oggetto delle campagne sono le informazioni sul ciclo dell’acqua e sul funzionamento dei depuratori, suggerimenti sugli usi e consumi domestici, sul risparmio idrico, su ciò che può e non può essere scaricato in fogna, sui comportamenti alternativi, sulla legislazione vigente, nonché su alcuni criteri di realizzazione degli impianti idrici e fognari per nuove costruzioni o in caso di ristrutturazione di vecchie abitazioni. I suggeri-
Fig. 3. In figura è rappresentato un esempio di gestione del ciclo dell’acqua in città con scarico a mare. Il ciclo dell’acqua rimane aperto con trasferimento degli impatti da una componente ambientale ad un’altra.


Fig. 4. Percorso storico della pianificazione integrata-partecipata. Le città proprio perché “organismi” sono parte di un sistema più complesso, il territorio, e le città proprio in qualità di organismi possono metodologicamente essere viste nei loro meccanismi di crescita, trasformazione e decadenza con una impostazione disciplinare innovativa. I principi dell’Ecogestione sono applicati alla pianificazione, cioè ad una politica razionale di gestione del territorio. Le città sono sistemi ad alto consumo di energia che incidono sulla natura per il mantenimento del proprio equilibrio. Da qui nasce l’importanza di preservare “il capitale naturale” in maniera tale da garantire il necessario input di risorse naturali e non incorrere nel grave rischio di una diminuzione della qualità della vita: città a misura per chi vi abita. L’ambiente naturale deve essere preservato all’interno di un circoscritto ambito amministrativo (città, regione, nazione) per sostenere un adeguato livello di sviluppo della società umana. È un sistema che ha in sé la potenzialità di proteggere il mantenimento della vita, stabilizzare i substrati, controllare i cicli atmosferici e i cicli idrici, moderare i valori estremi della temperatura e di altri fattori fisici e così via.
menti corretti da fornire ai cittadini, però, non sono sempre gli stessi: a seconda di come è strutturata la rete fognaria, di quanto è grande l’impianto a cui si è allacciati e del tipo di depurazione utilizzato, dei consumi idrici procapite e delle abitudini locali, i comportamenti ideali possono essere anche notevolmente differenti e vanno quindi attentamente valutati. L’efficacia dell’intervento, come ovviamente il suo costo sono perciò molto variabili. Per questo motivo, si dovrebbe scegliere, caso per caso, quella modalità di gestione che ottimizzi i benefici, in rispetto delle condizioni igienicosanitarie e ambientali e che comporti il minimo impatto con individuazione di indicatori di qualità igienico- sanitaria anche attraverso forme di consenso partecipato, che vede il coinvolgimento delle comunità interessate (Figura 4). In
questo scenario l’attuale panorama italiano presenta più ombre che luci: a fronte di norme europee che tengono sempre più in conto la conservazione dell’ambiente, di leggi nazionali che ormai da diversi anni fissano procedure e vincoli, in Italia il ritardo con cui vengono attuate le azioni richieste dal quadro normativo di riferimento è sintomatico di un sostanziale ingiustificato “immobilismo” dalle radici antiche nei confronti delle molteplici questioni ambientali connesse alla gestione del ciclo integrato del bene acqua. I fabbisogni idrici complessivi del territorio sono nettamente maggiori non solo delle disponibilità interne (costruite dai prelievi della falda carsica profonda e dalle fluenze dei corsi d’acqua che intersecano o lambiscono alcune regioni italiane), ma anche di quelle extra regionali che giungono nella regione attraverso acquedotti ormai in esercizio o di accertata fattibilità ma non ancora realizzati. La situazione attuale richiede un insieme di provvedimenti, la cui adozione va inquadrata in una logica complessiva, non settoriale, in cui gli interessi generali devono prevalere su quelli dei singoli comparti interessati. In particolare, va attentamente rivista la gestione dell’approvvigionamento idrico in agricoltura, che costituisce uno dei punti più delicati dell’intero comparto: il forte deficit fra richieste e disponibilità non potrà in futuro essere migliorato, anzi già la configurazione attuale è, sotto molti punti di vista, forse già ben oltre il limite di un ragionevole equilibrio, considerato l’effetto negativo esercitato sulla qualità delle falde dall’eccesso di prelievi irrigui estivi; andrebbero implementati processi virtuosi che pur mantenendo l’attuale livello di occupazione, consentono un uso più razionale delle risorse disponibili abbandonando culture fortemente idro-esigenti e privilegiando invece l’adozione di pratiche agronomiche a forte contenimento dei consumi, come peraltro insegnano le consolidate esperienze di campo effettuate dagli israeliani in contesti climatici ben più complessi dei nostri; vanno anche considerate le ricorrenti crisi di disponibilità, dovute ai ripetuti fenomeni siccitosi, che esaltano la conflittualità fra i diversi utenti del bene acqua; se da un lato sono il segno più eviden-
te dell’influenza delle attività antropiche (in senso globale e planetario) sul ciclo idrologico delle precipitazioni e dei deflussi, dall’altro queste evidenziano come il ruolo della “politica” debba essere fortemente esercitato per comporre i dissidi e i contrasti di carattere sociale ed economico fra territori distinti e attività produttive contrastanti: a questo proposito va evidenziato come il fenomeno abbia in passato interessato una scala interregionale, mentre oggi il dissidio in maniera altrettanto grave riguarda territori di preminente scala regionale, va data una significativa importanza, in questo contesto, al riuso in agricoltura nel territorio italiano delle acque reflue urbane, opportunamente depurate: esso non solo riduce il deficit del bilancio idrico, ma rappresenta indirettamente anche un miglioramento delle generali condizioni ambientali, riducendo sia il prelievo della falda carsica sia l’entità dei volumi scaricati a mare.
Ne deriveranno in futuro condizioni di balneabilità e uso turistico delle coste più affidabili e sostenibili. In sostanza, introducendo nuovi vincoli all’uso del territorio interessato da possibili frane e/o allagamenti dovuti al transito di piene di assegnato rischio idraulico, ha evidenziato, sia pure con qualche imprecisione, quanto compromesso sia il nostro territorio rispetto al verificarsi di eventi che, piuttosto rari in passato, sono negli ultimi anni diventati più frequenti specie laddove l’intervento antropico ha più profondamente modificato il comportamento idraulico dei corsi d’acqua naturali impermeabilizzando i suoli, ostruendo con costruzioni di vario genere le sezioni originariamente destinate al libero deflusso delle piene, ecc. aggravato anche dai cambiamenti climatici in atto. In questo scenario, un governo attento alla conservazione del territorio e alla protezione delle classi sociali meno difese, deve individuare una politica di tutela ed essere in grado di attuarla, non solo attraverso una attenta azione legislativa, ma potenziando e soprattutto sensibilizzando i propri organi tecnici deputati al raggiungimento di questo obiettivo. La Gestione Sostenibile del ciclo dell’acqua e la questione “acqua” più in generale assume oggi particolare rilevanza sotto molti punti di vista; tra questi si citano, come particolarmente significativi, il mai risolto bilancio fra le poche disponibilità e le molte richieste, e la valutazione degli effetti dovuti agli eventi estremi, in particolare quelli di piena. La soluzione che si può dare a questi problemi non è unica e dipende molto dall’obiettivo che si intende perseguire. Per il raggiungimento degli obiettivi dell’Agenda 2030 ed in particolare quelli del Goal 6: Acqua pulita e igiene-Garantire a tutti la disponibilità e la gestione sostenibile dell’acqua e delle strutture igienico-sanitarie e del Goal 14: La Vita sott’acqua-Conservare e utilizzare in modo durevole gli oceani, i mari e le risorse marine per uno sviluppo sostenibile, è necessario che l’intera questione venga affrontata tenendo conto sia delle problematiche ambientali che delle esigenze di tutte le componenti sociali interessate, in parti-
colare di quelle più consapevoli del fatto che il bene acqua non sarà in futuro disponibile in maniera illimitata: pur non dimenticando che esso rimane uno dei maggiori fattori propulsivi dello sviluppo di un territorio, questo sviluppo non potrà essere duraturo nel tempo se contestualmente non viene conservato e preservato con grande attenzione l’aspetto sia quantitativo che qualitativo della risorsa acqua. Conservare e utilizzare in modo durevole i mari e le risorse marine per uno sviluppo sostenibile e comprendere come alcune abitudini (sversamenti, abbandono di rifiuti, marine litter, liquami, etc.) possano influire negativamente sulla vita nelle acque determinando un impatto sugli ecosistemi e sulla biodiversità marina, adottando la metodologia dell’Ecogestione come strumento privilegiato.
1. Burger, J. et al. Perceptual indicators of environmental health, future land use, and stewardship. Environ. Monit. Assess. 89, 285-303 (2003).
2. Chambers, N., Simmons C. & Wackernagel, M. in Sharing Nature’s Interest: Ecological Footprints as an Indicator for Sustainability.(Earthscan, London, 2000).
3. De Blasi G., De Boni A., Roma R., Maddalena A., Colao V., Tarsitano E., 2008. Analisi economica, analisi degli impatti ambientali ed ecobilanci. Workshop finale “Sistema di Produzione Ittica ad Impatto Zero”, Valenzano (Ba), Aula Magna Facoltà di Medicina Veterinaria 29 Aprile 2008.
4. McDowell, N. Ecological footprint forecasts face sceptical challenge. Nature 419, 656 (2002).
5. Parr, T. W., Sier, A. R., Battarbee, R. W., Mackay, A. & Burgess, J. Detecting environmental change: science and society-perspectives on longterm research and monitoring in the 21st century. Sci Total Environ. 310, 1-8 (2003).
6. Perlino E., Tarsitano E. (2011) Water, cancer and public health. Plurimondi. An International Forum for Research and Debate on Human Settlements. 2011 June; IV (8), 189-199.
7. Tarsitano E., (2013) Effects of Climate Changes on the Spread of Pathogens: Risks to Biodiversity. International Journal of Sciences, 2013 Oct 10 (2): 56-62.
8. Tarsitano, E. in [Urban Parasitology: Cities, animals and public health] (eds Puccini, V. & Tarsitano, E.) 21-36 (Il Sole 24 ORE Edagricole, Bologna, Italy, 2003).
9. Tarsitano E., Blonda M. 1997. Linee guida per il nuovo PRRA (Piano Regionale Risanamento Acque). Atti 1° Congresso “I Biologi per lo Sviluppo Sostenibile della Puglia”, Bari 6-8 Maggio 1997, 56-61.
10. Wackernagel, M. & Rees, W. E. in Our Ecological Footprint: Reducing Human Impact on the Earth. (New Society Publishers, Gabriola Island, BC 1996).
La salute, la produzione agricola e la società per un futuro che curi l'ambiente, le relazioni e la qualità della vita