Il Giornale dei Biologi - N.11/12 - Novembre/Dicembre 2022

Page 1

Giornale dei Biologi

Edizione mensile di AgONB, Agenzia di stampa dell’Ordine Nazionale dei Biologi. Registrazione n. 52/2016 al Tribunale di Roma. Direttore responsabile: Claudia Tancioni. ISSN 2704-9132

Novembre/dicembre 2022 Anno V - N. 11-12
IL FUTURO DELLA BIOLOGIA NELLA GENOMICA AVANZATA
TUTTA
Eletti tutti i componenti dei Consigli direttivi degli Ordini Regionali dei Biologi BIOLOGI AL VOTO IN
ITALIA

Corso Fad

STRESS AMBIENTALI E RICADUTE

SU ANIMALI E UOMO

Luglio-dicembre 2022

www.onb.it

24

Sommario

EDITORIALE

Arrivederci di Vincenzo D’Anna

PRIMO PIANO

Nascono gli Ordini regionali dei Biologi

Covid, bilancio di fine anno di Rino Dazzo

L’Onb al forum internazionale dell’agricoltura e dell’alimentazione

La biologia nelle esplorazioni spaziali

INTERVISTE

Sla, arriva un farmaco che tratta la malattia in alcuni pazienti di Chiara Di Martino

Tumore polmonare, ruolo del nichel nello sviluppo delle cellule cancerogene di Ester Trevisan

Le proprietà magnetiche di foglie e licheni per lo studio della qualità dell’aria di Sara Bovio

SALUTE

26

28 30 33 34

Sentimenti di pancia di Elisabetta Gramolini

Scoperto ormone chiave che potrebbe ridurre i danni dell’infarto di Anna Lavinia

Diabete: l’attività fisica serale controllerebbe gli zuccheri nel sangue di Domenico Esposito

Una manciata di mandorle per la salute dell’intestino di Domenico Esposito Follicoli da laboratorio di Biancamaria Mancini

37

3
18 20
6
La tecnica farmaceutica a partire dal XIII secolo d.C. di Barbara Ciardullo Sommario
22 12
Artrite reumatoide: causa in un batterio intestinale sconosciuto? di Domenico Esposito
14 16

Nei coralli le mutazioni possono essere trasmesse alle generazioni successive di Sara Bovio

Quanti alberi servono per compensare un secondo di ricerca sul web? di Sara Bovio

Mappa georeferenziata e interattività dei vigneti lucani di Gianpaolo Palazzo

Un probiotico per allungare la vita di Gianpaolo Palazzo

Bollette più leggere? Si può fare di Gianpaolo Palazzo

56 60 62

SPORT

La partita impossibile (che non vedrete ai mondiali) di Antonino Palumbo

Chiara, Cinzia e gli altri. La dorata stagione dell’arco azzurro di Antonino Palumbo

La coppia da sogno del pattinaggio azzurro di Antonino Palumbo

INNOVAZIONE

Fotosintesi artificiale per stoccare energia solare di Pasquale Santilio

Aerogel ultraleggeri dall’albume dell’uovo di Pasquale Santilio

Fotoluminescenza nelle celle solari a perovskite di Pasquale Santilio

Eventi estremi: arrivano i sensori innovativi di Pasquale Santilio

BENI CULTURALI

Negozio Olivetti. Un occhio al futuro su piazza San Marco di Rino Dazzo

Scoperti i bronzi di San Casciano dei Bagni di Pietro Sapia

Rubrica letteraria 64

LAVORO

38 40 42 44 50 46 51 84

52 55 63 48 49

SCIENZE

68 73

Concorsi pubblici per Biologi 66 78

Vaccini contro l’HIV. Passato, presente e futuro di Giuliana Pellegrino

Possibili bersagli terapeutici per l’adenocarcinoma polmonare di Cinzia Boschiero

Le politiche energetiche dell’Europa di Antonella Pannocchia

Il microbiota vaginale. Il centro del benessere femminile di Giuseppe Palma

Colbrelli, campione “tradito” dal cuore di Antonino Palumbo Sommario
AMBIENTE
LIBRI

Arrivederci

Volgono al termine l’espe rienza e l’impegno quin quennale del Consiglio dell’Ordine dei Biologi e della mia presidenza. Con essi an che la storia ultracin quantenaria dell’ONB, costituitosi con la legge istitutiva n. 396 del 24 maggio 1967, che chiu derà definitivamente i battenti alla fine di quest’anno.

Volge al termine la storia ultracinquantenaria dell’Ordine Nazionale dei Biologi, costituitosi con la legge n. 369 del 24 maggio 1967

L’Ordine Nazionale “soppresso” sarà sostituito dalla Federazione de gli undici Ordini Regionali dei Bio logi i cui organismi dirigenti sono stati eletti nel corso della tornata di votazioni conclusasi qualche gior-

no fa. Hanno votato oltre tredici mila iscritti scegliendo i quindici componenti di ciascun Direttivo regionale e i Revisori dei Conti. I componenti del Direttivo di cia scuna regione hanno eletto, a loro volta, in conformità con la leg ge, presidente, vicepresidente, tesoriere e segretario di ciascun ente territoriale. In estrema sintesi: il decentramento amministrativo, avviato nel giugno del 2021, con l’apertura delle sedi regionali, ha trovato la sua defini tiva attuazione.

Si apre dunque una nuova, sto rica, fase gestionale che porterà

3 GdB | Nov/dic 2022
Editoriale

gli iscritti ad avere uno specifico punto di riferimento, anche ammi nistrativo, a pochi passi da “casa”. Ciascun Ordine, infatti, eserciterà in loco le funzioni prima delegate alla struttura nazionale, come: te nuta degli Albi, Commissione di Disciplina di primo grado, eroga zione dei principali servizi dedicati agli iscritti, formazio ne e informazione. A corollario di questo ci saranno la gestione de gli eventi scientifici e formativi, il finanzia mento di agevolazio ni per master, summer school, la formazione sul campo, la risoluzione di questioni e criticità locali. Nessuno, insomma, da questo momento in poi, avrà più scusan ti né alibi per non essere informa to e partecipe alla vita del proprio ordine. Un legame che si fa ancor più stretto con il territorio e che

Ciascun Ordine eserciterà in loco le funzioni prima delegate alla struttura nazionale, come tenuta degli Albi, erogazione dei principali servizi agli iscritti

avrà come protagonisti gli eletti e gli iscritti del medesimo ente. Tut tavia, per dirla alla Massimo D’A zeglio: “Fatta l’Italia resta ancora da fare gli italiani”. Ebbene sì, cari colleghi! La triste verità è che gran parte dei nostri iscritti poco si cura dell’Ordine. Sono ancora molti co loro i quali elevano critiche avventate e immotivate pon tificando dall’alto di una “non conoscenza” della vita e delle opere fatte dall’ONB.

Peggio ancora: tan tissimi sono quelli che nemmeno leggono le co municazioni (newsletter) o consulta no il sito istituzionale non sfruttando, di conseguenza, le tante opportunità che pure sono state (e ancora si van no) create! Un solipsismo incoerci bile che porta tante, troppe persone, fuori e lontano dal crocevia della cognizione di fatti e occasioni che non chiedono altro che di essere meglio

4 GdB | Nov/dic 2022
Editoriale

sfruttate. Gli ordini regionali certo potranno incidere maggiormente ad accorciare le distanze e ampliare la conoscenza di quanto sia importante la tutela dell’ente professionale e il sostegno del medesimo per far cre scere la categoria.

Fino a quando questo convinci mento non sarà diffuso, ogni iniziativa, ogni cambiamento, ogni riforma, avranno ripercussioni minime sulla rappresentanza. Ora, tornando a noi: è questa l’esperienza che ho maturato nel corso della mia Presidenza in via Icilio. Troppa ignoranza sostie ne critiche e lamentazioni anche se queste nascono all’oscuro dei fatti narrati. Chi verrà in seguito dovrà perseguire questo compito essen ziale: accorciare le distanze tra am ministratori ed amministrati, trovare il sistema per farsi ascoltare. Molte cose sono state migliora

Chi verrà in seguito dovrà perseguire il compito essenziale di accorciare le distanze tra amministratori e amministrati, facendosi ascoltare

te e riformate in questo ultimo quinquennio, ma questo non è sta to diffusamente (e minimamente) compreso. Il tempo, però, è galantuomo e rende giustizia a chi ha ben operato. Il Consiglio dell’Or dine ha la coscienza e le mani pu lite: ha cambiato quel che si pote va e preparato quel che si potrà in futuro. È questo il la scito, il testimone che passiamo a chi sarà de mocraticamente elet to in seguito. Pensate: su 55mila iscritti solo un quinto ha espres so un voto alle ultime elezioni ordinistiche. Decisamente troppo pochi per poter essere soddisfatti. Mi piace pensare, però, che sia un punto di partenza e che i futuri traguardi saranno migliori. Ora è il tempo del commiato. Un semplice e sincero grazie a tutti coloro che ci hanno sostenuto e un augurio affettuoso a voi tutti.

5 GdB | Nov/dic 2022
Editoriale

NASCONO GLI ORDINI

I biologi hanno votato per eleggere il Consiglio direttivo della

6 GdB | Nov/dic 2022
Primo piano

REGIONALI DEI BIOLOGI

propria regione. Si apre una nuova fase per la professione

Nei mesi di ottobre e di novembre 2022 si sono svolte le votazioni per eleggere i Consigli Direttivi degli Ordini Regionali dei Biologi. Una svolta epocale per la professione, che passa da un’unica struttura nazionale al decen tramento territoriale. La legge 3/2018, cosiddetta Legge Lorenzin, ha infatti sancito l’inserimento dei biologi tra i professionisti della sanità e la conseguente regionalizzazione dell’albo. I biologi sono stati quindi chiamati al voto per nominare i componenti del Consiglio della propria regione di appartenenza. Con la procedura elettorale sono stati designati i membri direttivi dei neonati undici Ordini territoriali, corrispondenti a Cala bria, Campania-Molise, Emilia Romagna-Mar che, Lazio-Abruzzo, Lombardia, Piemonte-Li guria-Valle D’Aosta, Puglia-Basilicata, Sardegna, Sicilia, Toscana-Umbria e Veneto-Friuli Venezia Giulia-Trentino Alto Adige.

Per l’Ordine regionale di Piemonte-Ligu ria-Valle D’Aosta il maggior numero delle prefe renze è stato accordato alla lista elettorale “Aria Biologica”. In tutti gli altri dieci Ordini territoria li, le votazioni si sono concluse a favore della lista elettorale “Biologi per il rinnovamento”.

Di seguito riportiamo gli elenchi degli eletti suddivisi per territorio. Nelle prossime setti mane, i presidenti di ciascun Ordine Regionale saranno chiamati a eleggere i componenti del direttivo della Federazione Nazionale degli Or dini dei Biologi (Fnob). In attesa di tali nomine, la Fnob sarà gestita dal dott. Pasquale Piscopo, commissario straordinario nominato dal Ministe ro della Salute.

7 GdB | Nov/dic 2022
Primo piano

Affluenza: 33,1%

Laurendi Domenico Luca – 618

Arcidiacono Biagio – 475

Gravina Alessio – 447

Fotia Immacolata – 414 Porcaro Asnora – 376

Passarino Giuseppe – 318

Vero Anna – 286

Ferraro Simona – 245 Palazzolo Giacomo – 244

Bauleo Alessia – 229 Misasi Giovanni – 216 Mento Consolato – 215 Fregola Annalisa – 210 Giglio Stefania – 208 Venezia Fabiana – 204 Revisori

Caroprese Renata – 614 Carelli Laurie Lynn – 372 Filippone Antonio – 358

Affluenza: 28,7%

Guida Marco – 1245

Cosimato Vincenzo – 1220

Pecoraro Pierluigi – 1205

Siciliano Mariarosaria – 1166

Amato Felice – 1159

Piscopo Marina – 1159

Stefanelli Vincenzo – 1147

Petruziello Arnolfo – 1146

Arcella Antonietta – 1141

Viti Marcella – 1136

Lamberti Duilio – 1134

Cozzolino Ciro – 1132

Cimmino Carla – 1131

D’Arena Giovanni – 1130

Schiavo Luigi – 1129

Revisori

Rocco Lucia – 1157

Petrazzuoli Michelina – 1139

Tirelli Quirino – 1120

Affluenza: 17,8%

Parmeggiani Maria - 347 Barocci Simone – 333 Martorana Davide - 333 Galli Silvia – 325 Lazzarotto Tiziana - 320 Capone Raffaella – 318 Chiozzotto Daniela - 315 Alleva Renata – 313 D’Anzeo Marco – 311 Sanges Federica - 311 Postacchini Marco – 308 Scacchetti Alda Tiziana - 307 Milano Francesco - 305 Fioroni Giovanni – 299 Trebaldi Sonia – 299 Revisori

Belloni Lucia – 447 Pietro Micieli – 399 Davassi Paolo Francesco – 392

Affluenza: 15,4%

Spanò Alberto - 612 Verga Falzacappa Cecilia - 599 Arduini Daniela - 584 De Cinti Andrea - 575 Meledandri Marcello - 566 Amendola Alessandra - 558 Ippoliti Rodolfo - 549 Esposito Salvatore - 545 Mazzocco Barbara - 544 Taccone Annunziata - 544 Carinci Romina - 541

Di Felice Piera Lisa - 535 Scalici Massimiliano - 531 Grillo Luigi - 529 Tribalto Claudio – 518 Revisori

Rossi Laura – 685 Iannello Alfredo – 636 Pascucci Daniela - 634

8 GdB | Nov/dic 2022
CALABRIA CAMPANIA E MOLISE EMILIA-ROMAGNA E MARCHE
Primo piano
LAZIO E ABRUZZO

Affluenza: 8,3%

Rossetto Rudy Alexander – 279

Usai Chiara - 265

Botti Sara - 257

Barocci Fiorella – 249

Bedoni Marzia – 249

Pandolfi Laura – 247

Parpaglioni Giuliano - 237

Bettiga Arianna – 236

Gargano Giuliana – 234 Portera Giorgio - 233

Berlinghieri Cristina – 230 Broglio Paolo – 227

Colletti Alessandro – 227

Lepre Simone - 227 Bonizzi Luigi – 222 Revisori

Franza Lucia - 334

Cattorini Stefano – 327 Di Geso Samantha – 305

Affluenza: 18,7%

Miceli Alessandro – 386

Barbui Anna Maria – 362

Geuna Massimo – 357

Menegatti Elisa – 348

Dusi Pier Andrea – 346

Cagnazzo Celeste – 345

Camoletto Paola Giuseppina – 345

Del Zotto Genny – 344

Pellerey Ombretta – 342

Bisignano Giuseppina – 341

Genova Tullio – 341

Furnari Paola – 338

Zuccon Fabio – 338

Chignoli Daniele – 334

D’Abramo Paolo – 331

Revisori

Caselli Maria Teresa – 411

Mussino Stefano 398

Valverde Namay Sabdi - 387

Affluenza: 24,3%

Amato Mauro - 775

Durini Maurizio - 736 Tarsitano Elvira - 729 Galiazzo Valentina - 720 Giaimis Marco - 718

Candeloro Antonella - 701 Ranieri Elena - 690

Dell’Edera Domenico - 687 Console Antonia - 676 Mazzotta Antonio - 674 Venneri Maria Teresa - 672 La Grua Fabio Antonio - 669 Ciccolella Luigi Valerio - 656 Pati Roberta - 654 Martucci Luciano - 646 Revisori

Solito Laura - 817 D’Elia Alfredo - 728 Allegretti Arianna - 723

Affluenza: 21,9%

Tinti Enrico – 353 Spissu Francesca – 298 Milia Carlo – 294 Maullu Carlo – 292 Frau Francesca – 290 Sorrentino Maria – 288 Zedde Andrea – 283 Culurgioni Jacopo – 280 Mazzeo Silvia Erika – 279

Orrù Flavio – 279 Mereu Carlo – 277 Bazzu Alberto – 274 Niffoi Tonina Maria – 274 Atzeni Marcello – 273 Deidda Fabio – 273 Revisori

Reggiani Gloria – 336 Conti Stefania - 330 Motzo Costantino – 327

9 GdB | Nov/dic 2022
LOMBARDIA PIEMONTE, LIGURIA, VALLE D’AOSTA PUGLIA E BASILICATA
Primo piano
SARDEGNA

Affluenza: 36,1%

Li Causi Federico – 1771

Pitruzzella Alessandro – 1745

Battaglia Giovanni – 1716

La Porta Alessio – 1715

Simone Carmen – 1712 Martinico Vita Fabiola – 1705

Azzarello Agata – 1699

Mondello Monica – 1699

Ajello Stefania – 1687

Spataro Pasquale – 1687

Andolina Manuela – 1686

Costa Antonio – 1683

Polizzi Giovanni – 1681 Damico Gaetano – 1676

Miraglia Pietro Lorenzo Antonino – 1660 Revisori

Siringo Margherita – 1837

Pagano Pietro – 1803 Zichichi Andrea – 1786

Affluenza: 23,3%

Casprini Patrizia- 422 Pellegrini Silvia – 413

Fani Renato – 406

Confortini Massimo – 406 Ricci Ugo – 399

Carlucci Filippo – 398

Brancorsini Stefano – 397

Ballerini Marco – 393

Zocchi Gianni – 393

Moretti Massimo – 392

Facioni Maria Sole – 389

Labate Pietro – 388

Trippetti Claudia – 386

Pagliai Giuditta – 382

Giampaoli Marco – 378

Revisori

Olivotti Annalisa – 457

Quercioli Massimo – 449 Bacci Elena – 439

VENETO, FRIULI VENEZIA GIULIA, TRENTINO ALTO ADIGE

Affluenza: 20,8%

Zanatta Lucia - 302

Bucher Edith - 293 Edalucci Elisabetta - 291 Pavan Alessandro - 285 De Biasi Annalisa - 284 Faggian Diego - 282 Pizzocaro Erica - 280 Baldessin Franca - 278 Pessa Giuseppe - 277 Casetta Devis - 276 Salviati Stefano - 275 Tonellato Luigi - 275 Feller Edoardo - 273 Perin Danilo - 272 Franco Fabia - 271 Revisori

Passaler Tiziana - 333 Molari Alfiero - 329 Serena Federico - 314

10 GdB | Nov/dic 2022
SICILIA TOSCANA E UMBRIA
Primo piano
L’Italia suddivisa in Ordini Regionali
11 GdB | Nov/dic 2022

COVID , BILANCIO DI FINE ANNO CIRCOLAZIONE SIMULTANEA CON L’INFLUENZA, IV DOSE A RILENTO

Secondo il rapporto della Fondazione Gimbe, i contagi sono cresciuti del 10% negli ultimi sette giorni. I ricoveri ordinari sono aumentati del 9,1%, i decessi dell’8,8%

Come si chiude il 2022 sul fronte dalla lotta al Covid? In Italia la situazione è certamente meno preoccupante di altri paesi, soprattutto del lontano Oriente. Il virus, però, ha ripreso a circolare in modo massiccio anche da noi, come certificato dai numeri. I bollettini, che adesso sono diffusi settimanalmente e non più quoti dianamente, in ossequio alle volontà del nuovo governo, indicano un progressivo aumento dei casi. L’impatto, fortunatamente, è contenuto in termini di decessi e ospedalizzazioni, che però hanno fatto registrare incrementi significativi rispetto ai dati delle settimane precedenti. Una fotografia dettagliata della situazione è rappre sentata dall’ultimo rapporto della Fondazione Gimbe, aggiornato al 24 novembre: i contagi da Covid-19 negli ultimi sette giorni sono cresciuti del 10%. I ricoveri ordinari sono aumentati del 9,1%, i decessi dell’8,8%, mentre relativamente stabili sono i dati riguardanti le terapie intensive, con un incremento più contenuto, dell’1,2%. Sono numeri che, soprattutto in rapporto ai pic chi pandemici del 2020 e dello stesso 2021, non determinano situazioni di criticità, almeno per il momento. Il tasso nazionale di occupazione dei pazienti Covid è infatti del 12% in area medica e del 2,5% in area critica, ben al di sotto dei

livelli di allarme. Ma ci sono delle situazioni che vanno valutate e affrontate con attenzione.

La somministrazione della quarta dose pro cede piuttosto a rilento. Quasi tre persone su quattro, di quelle che rientrano nella fascia a rischio, non sono coperte dal secondo booster di vaccino, che assicura una protezione maggio re rispetto al rischio di ospedalizzazione e alle conseguenze più gravi della malattia. Piuttosto marcate, poi, sono le differenze tra le regioni: le cinque milioni e più di quarte dosi non sono sta te infatti somministrate in modo uniforme, con picchi – in positivo e in negativo – che vanno dal 40% del Piemonte al 12% della Calabria. E se i dati relativi alla dose booster indicano ral lentamenti nella campagna, mancano del tutto informazioni relative alla quinta dose, da som ministrare ai fragili e agli over 80 per i quali sia no trascorsi più di 120 giorni dall’ultima immu nizzazione, da vaccino o da superamento della malattia. In particolare, si stima che siano oltre due milioni le persone che rientrano in questa categoria, dunque maggiormente esposte alle conseguenze più rilevanti di un eventuale con tagio. Altra situazione di cui tener conto: ormai sono sempre di più i tamponi fai da te eseguiti in autonomia, con eventuali positività che non sono neppure comunicate alle autorità compe

12 GdB | Nov/dic 2022
Primo piano

tenti. Il rischio concreto, insomma, è che i dati ufficiali siano sottostimati rispetto all’effettiva circolazione del virus, che potrebbe essere an cora più alta.

In questa particolare fase la variante domi nante, anche in Italia, è diventata la BQ.1.1, so prannominata “Cerberus”, il mastino infernale a tre teste della tradizione mitologica greca. Si tratta di una ulteriore variante di Omicron che, come previsto, ha preso il posto delle sotto variante BA.5, dominante nei mesi scorsi. Gli esperti stimano che Cerberus abbia una capa cità di trasmissione del 10% maggiore rispetto ai suoi predecessori, percentuale che secondo alcuni ricercatori britannici arriva addirittu ra al 29%. La sua caratteristica più rilevante è rappresentata dalle elevate mutazioni nella proteina Spike che, come noto, è quella uti lizzata dal SARS-CoV-2 per entrare all’inter no delle cellule umane. Questo rende la sua contagiosità ancor più elevata e si sospetta che possa rendere anche il tessuto polmonare più suscettibile al virus. Non ci sono ancora studi e dati sufficienti per indicare che Cerberus sia più pericolosa delle varianti che l’hanno prece duta, anche se sembrano emergere differenze abbastanza significative per quel che concerne i sintomi più ricorrenti. In Francia, soprattut to, hanno osservato che i soggetti infettati dalla variante BQ.1.1 lamentano più spesso mal di testa, diarrea e aritmie cardiache, oltre ad altri

In questo particolare quadro, va registrata la differenza sempre più marcata tra la strategia italiana e quella di altri paesi, come la Cina. Se i sanitari di Pechino inse guono ancora l’obiettivo “Zero Covid”, con l’ap plicazione di misure di contenimento draconiane comprendenti lockdown e limitazioni diffuse che stanno provocando il mal coltento della popolazio ne, in Italia si va verso un ulteriore allentamento delle misure.

sintomi quali malessere generale, mal di gola, tosse, starnuti, difficoltà respiratorie e dolori muscolari, tipici pure di altre varianti del virus.

In questo particolare quadro, va registrata la differenza sempre più marcata tra la strategia italiana e quella di altri paesi, come la Cina. Se i sanitari di Pechino inseguono ancora l’obiettivo “Zero Covid”, con l’applicazione di misure di contenimento draconiane comprendenti lock down e limitazioni diffuse che stanno provocan do il malcoltento della popolazione, in Italia si va verso un ulteriore allentamento delle misure. «Stiamo lavorando per far sì che gli asintoma tici possano dopo cinque giorni rientrare nelle loro attività. Su questo, a breve, presenteremo un disegno di legge», è la promessa del nuovo ministro della Salute Orazio Schillaci. Ma c’è da prepararsi ad affrontare un nuovo problema, l’avvento dell’influenza stagionale, i cui picchi sono attesi in coincidenza con le festività natali zie. Il modo migliore per affrontare con serenità l’ondata simultanea di Covid e influenza? Vac cinarsi. Spiega il virologo Fabrizio Pregliasco a proposito del vaccino anti-influenzale: «È bene farlo subito poiché la risposta immunitaria alla vaccinazione impiega circa due settimane per svilupparsi pienamente e il picco è atteso a fine dicembre». Secondo le ultime stime, solo un ter zo degli italiani che hanno superato i 65 anni ha fatto il vaccino, una percentuale che andrebbe incrementata al più presto.

13 GdB | Nov/dic 2022
Primo piano
© Mau47/shutterstock.com © Graeme Kennedy/shutterstock.com

L’ONB AL FORUM INTERNAZIONALE DELL’ AGRICOLTURA E DELL’ ALIMENTAZIONE

Un appuntamento dedicato all’a groalimentare del Belpaese che riunisce esperti accademici e istituzionali italiani e stranieri. Questa la mission del Forum In ternazionale dell’Agricoltura e dell’Alimen tazione, organizzato a Roma, a Villa Miani, dalla Coldiretti e dallo studio The European House – Ambrosetti.

Giunto alla ventesima edizione, quest’an no i lavori sono stati aperti con la presenta zione del Rapporto Coldiretti/Censis dal ti tolo “Gli Italiani e il cibo nelle crisi e oltre”, che racconta l’impatto dei rincari energeti ci sulle abitudini alimentari dei cittadini. È stato poi illustrato il nuovo censimento del patrimonio enogastronomico alimentare na zionale, con un particolare focus sull’esposi zione delle specialità a rischio per l’esplosio ne dei costi di produzione.

«Chiediamo ai nostri concittadini di so stenere l’agroalimentare del nostro Paese tramite acquisti di prodotti Made in Italy, affinché venga sostenuta l’economia e l’oc cupazione in Italia - afferma Ettore Prandini, presidente della Coldiretti -. Vogliamo crea re le condizioni perché tutte le superfici col tivabili che in questi anni sono state abban donate tornino a essere utilizzate. L’obiettivo del nostro Paese deve essere quello di torna re a produrre di più e ad aumentare la capa cità della filiera alimentare italiana, per dare

spazio e dignità al nostro patrimonio enoga stronomico, che tutto il mondo ci invidia».

Di protezione dell’ambiente, sfruttamen to del suolo e cibi sintetici ha parlato Fran cesco Lollobrigida, Ministro dell’Agricoltu ra e della sovranità alimentare, spiegando come «i consumatori hanno bisogno di cibo di qualità. Per questo stiamo conducendo un’analisi per capire quali siano gli effetti dei prodotti alimentari sintetici. Per sovra nità alimentare – prosegue – s’intende porre al centro l’imprenditore, i suoi diritti, il suo diritto al lavoro e, dall’altra parte, il consu matore finale, al quale deve essere garantito benessere e salute»

Alla presenza di ospiti nazionali e interna zionali, si è discusso di temi attuali per le im prese agricole e sono stati presentati appro fondimenti, indagini e ricerche. Nella due giorni congressuale, specifiche sessioni sono dedicate ai pericoli in arrivo sulle tavole de gli italiani, tra cui quello del cibo sintetico, i nuovi modelli di consumo, l’innovazione e la competitività delle imprese, la sfida energeti ca e la transizione ecologica, per arrivare alle politiche Europee nel settore agroalimentare e all’impatto dell’aumento dei prezzi delle materie prime.

“Il tema del cibo è centrale. Significa salute, tradizione e famiglia”, spiega Vin cenzo Gesmundo, segretario generale del la Coldiretti, che ha aperto i lavori della

14 GdB | Nov/dic 2022 Primo piano
Il presidente dell’Onb, Vincenzo D’Anna, tra i relatori della sessione dedicata ai “Rischi del cibo sintetico”

prima giornata congressuale. Tra i relatori della sessione “I rischi del cibo sintetico”, è intervenuto Vincenzo D’Anna, presiden te dell’Ordine Nazionale dei Biologi, che ha raccontato come «i biologi si occupano di sicurezza alimentare e di bioagricoltu ra. Il ruolo dell’Ordine dovrà essere quel lo di mettere in campo una serie di attività formative che possano garantire profes sionisti preparati e qualificati a operare in questo campo».

15 GdB | Nov/dic 2022
Primo piano
In alto, da sinistra, Vincenzo D’Anna, Francesco Lollobrigida e Ettore Prandini. In basso, il tavolo dei relatori. © Fotokostic/shutterstock.com

La biologia è una delle colonne portanti nelle esplorazioni verso la Luna e oltre. È quanto emer so durante il workshop “Spazio e ricerca biomedica”, organizzato dall’Agenzia Spaziale Italiana in collabora zione con l’Ordine Nazionale dei Biologi.

L’evento, che ha visto la partecipazione di diversi esponenti del mondo industriale e scientifico, nazionale e internazionale, na sce dall’esigenza di consolidare la rete tec nico-specialistica del settore spaziale per fa vorire il successo delle future esplorazioni. Pensato soprattutto per la categoria dei bio logi, il workshop ha visto la partecipazione di una nutrita platea di iscritti all’Ordine, sia in presenza sia in modalità virtuale. Duran te l’evento, il presidente dell’Onb, Vincenzo D’Anna, ha sottoscritto un protocollo d’in tesa con il Marscenter, storica società spazia le napoletana, per l’inserimento dei biologi in attività congiunte di ricerca scientifica in condizioni di microgravità. Saranno infatti condotte simulazioni a terra degli ambienti spaziali

«Quella che si presenta è una grande op portunità per i biologi – spiega Vincenzo

D’Anna, presidente dell’Onb -. Grazie al protocollo la nostra categoria potrà affac ciarsi in un campo professionale e occupa zionale ancora inesplorato, portando un im portante contributo al progresso scientifico nel settore spaziale».

Per favorire la cooperazione tra le diverse realtà scientifiche e industriali che operano nel settore, nella sessione pomeridiana del workshop è stata organizzata una tavola ro tonda alla quale hanno parteciperanno nu merosi docenti universitari italiani, che si sono confrontati sulle prospettive di ricerca scientifica e sulle opportunità di sperimenta zione del cosmo, con particolare attenzione a quelle nelle quali l’ambiente spaziale può risultare vantaggioso rispetto alla sperimen tazione sulla Terra.

«Il Protocollo con l’Ordine Nazionale dei Biologi - dichiara Giuseppe Morsillo, pre sidente Marscenter - è un altro importante passo per dare spazio alla ricerca su temi quali la prevenzione e la cura dell’osteopo rosi e dell’artrite, così come alla ricerca su cellule vive mediante bioprinting nella pro spettiva di abitabilità di un villaggio lunare ecosostenibile».

16 GdB | Nov/dic 2022
Primo piano
Da sinistra, Giuseppe Morsillo, presidente Marscenter, e Vincenzo D’Anna, presidente dell’Onb.

Astrobiologia, microbiologia, sistemi bio logici di supporto alla vita e fisiologia inte grata sono stati alcuni dei temi trattati duran te l’incontro. In sala, i diversi rappresentati dell’Asi intervenuti hanno annunciato l‘aper tura di bandi di ricerca per i biologi che po tranno lavorare attivamente agli esperimenti spaziali.

A destra, Giuseppe Morsillo, presidente Mar scenter, Vincenzo D’An na, presidente dell’Onb, e Pasquale Piscopo, direttore dell’Onb.

LA BIOLOGIA NELLE ESPLORAZIONI SPAZIALI

L’Onb ha siglato un accordo con il Marscenter per attività di ricerca in microgravità

A sinistra, Giuseppe Mor sillo, Pasquale Piscopo e Vincenzo D’Anna.

A sinistra, Giuseppe Morsillo e Vincenzo D’Anna che sottoscrivono il protocollo d’intesa.

17 GdB | Nov/dic 2022
Primo piano

SLA , ARRIVA UN FARMACO CHE TRATTA LA MALATTIA IN ALCUNI PAZIENTI

Coloro in cui è stato dimostrato un rallentamento della patologia sono quelli con una specifica mutazione genetica, circa il 2%. Intervista ad Adriano Chiò dell’Ospedale Le Molinette di Torino

In molti hanno parlato di “cura”, ma Adriano Chiò, direttore del Centro Re gionale Esperto per la Sclerosi Laterale Amiotrofica - Dipartimento di Neu roscienze Rita Levi Montalcini presso l’Ospedale Le Molinette della Città della Salute e della Scienza di Torino, preferisce essere più cauto, benché consapevole degli enormi risul tati raggiunti grazie a un farmaco attualmente in utilizzo come trattamento per la Sclerosi la terale amiotrofica, malattia neurodegenerativa che causa una graduale e progressiva disabilità motoria e che, solo in Italia, colpisce circa 6mile persone. Una patologia molto studiata, ma per la quale la ricerca è ancora impegnata con grandi spiegamenti di mezzi e risorse al fine di trovare quella che potrà essere definita in modo meno improprio “cura”. Per ora, però, il risultato c’è e riguarda una percentuale dei pazienti – circa il 2%, almeno sul campione europeo – in cui è presente una specifica mutazione genetica. A spiegarcelo è proprio il prof. Chiò. Il farmaco in questione è il Tofersen e i risultati dello studio internazionale – ha coinvolto studiosi da Fran cia, Belgio, Germania, Regno Unito e Usa - sono stati pubblicati sul New England Journal of Me dicine.

Prof. Chiò, ci chiarisce un po’ le idee?

Il trattamento si è dimostrato efficace nel le persone portatrici della mutazione nel gene Sod1, il più noto – è stato scoperto nel 1991 –presente in circa il 2% dei pazienti. In questa popolazione, questo farmaco, che è un oligo nucleotide antisenso che agisce selettivamente sull’Rna messaggero bloccando la sintesi della proteina alterata, ha dimostrato un rallentamen to della Sla, e in molti casi una stabilizzazione. Visto il tipo di mutazione, la domanda di par tenza è stata rivolta a misurare gli eventuali be nefici della sua riduzione ottenuta mediante tale farmaco.

Prima di procedere, il farmaco è sicuro?

In un piccolo numero di casi, si è registrata una infiammazione del midollo spinale, chiama ta mielite, ma sempre reversibile. Questo signi fica che una volta sospeso il farmaco, è del tutto rientrata. In sintesi, pochi effetti collaterali e tut ti di lievissima entità.

Quanti pazienti sono stati arruolati?

Lo studio è iniziato nel 2020 e ha coinvolto 108 pazienti affetti da Sla con quel tipo di mu tazione, divisi in pazienti a rapida e lenta pro gressione (nel nostro caso specifico, abbiamo arruolato cinque pazienti sui 60 totali europei a evoluzione rapida, essendo noi partiti più tardi rispetto agli altri centri). Il farmaco viene

18 GdB | Nov/dic 2022
Intervista
di Chiara Di Martino

somministrato con puntura lombare una volta al mese. Va chiarito anche che, dopo i primi sei mesi, a chi aveva ricevuto il placebo è stato poi somministrato il farmaco. Il target engagement ottenuto ha visto una riduzione del 30% della proteina Sod1 nel liquor: insomma, dal punto di vista biologico, il farmaco fa quello che deve fare. Ma non è tutto.

E cos’altro?

È stato osservato anche, tra le 12 e le 16 setti mane, un netto calo dei neurofilamenti a catena leggera, proteine strutturali dell’assone tipiche delle cellule neuronali. In parole più semplici, una dimostrazione che le cellule non stanno morendo. Ancora più semplicemente si può parlare della ri duzione (se non proprio di arresto) del processo degenerativo, osservabile tramite questo marcato re. E posso dirle di più ancora: a 16-18 settimane si assiste a un rallentamento della patologia, e suc cessivamente anche una stabilizzazione.

Sembrano tutti ottimi risultati.

Lo sono. I tre elementi della ricerca (gli effetti sulla proteina, quelli del marcatore e l’effetto cli nico) sono un’ottima notizia per chi è portatore della mutazione Sod1. Tra l’altro, l’azienda far maceutica ha messo a disposizione gratuitamen te il farmaco nei paesi in cui questo era possibi le, tra cui l’Italia: è già disponibile dallo scorso giugno. Questo vuole dire che viene consegnato

Adriano Chiò ha iniziato a studiare la Sla nel 1988 aprendo il primo ambulatorio dedicato. Da allora lui e la sua squadra non hanno mai smesso di studiare facendo progressivi passi avanti in direzione di nuove cure diventando uno dei più grandi esperti a livello mondiale. Ha ricevuto il Forbes Norris Award per “l’attività clinica e di ricerca riconosciute a livello internazionale per diverse ragioni fondamentali che ne giustificano l’impatto”.

alle neurologie che seguono i singoli pazienti. Al momento, è in somministrazione a circa 60 pazienti oltre quelli coinvolti nello studio. Na turalmente, questi risultati non sono validi per gli altri pazienti. Ma la ricerca è al lavoro anche per loro.

Quali sono le prospettive?

La comunità scientifica è al lavoro per stu diare un oligonucleotide antisenso disegnato apposta per altri geni. Negli Stati Uniti è già par tito uno studio sul gene Fus, più raro ma anche più aggressivo e che colpisce anche i bambini (il farmaco (jacifusen) testato sarà diverso, ma agirà con la stessa dinamica del Tofersen); e an cora un altro testato sulla mutazione nel gene C9orf72, la più comune nella SLA, poiché inte ressa circa il 7% dei pazienti. Per ora, però, in questo ultimo ramo ambito non sono stati regi strati risultati positivi.

Ci sono nuove frontiere da esplorare?

Sicuramente le terapie geniche con virus non patogeni, che si muovono nel senso di arrivare al pezzo di Dna alterato e sostituirlo, oppure tramite un sistema di blocco del Dna attraverso Rna messaggero. Se queste terapie sono già in stato avanzato per alcune patologie, per la Sla abbiamo solo studi preclinici. I vantaggi, co munque, sarebbero importanti: ne basta, infatti, un’unica somministrazione.

19 GdB | Nov/dic 2022 ”
Intervista
© Maksim Shmeljov/shutterstock.com

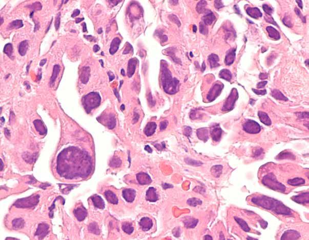
TUMORE POLMONARE, RUOLO DEL NICHEL NELLO SVILUPPO DELLE CELLULE CANCEROGENE

Il nichel è un metallo essenziale per la vita degli organismi unicellulari e delle piante, ma negli animali superiori come i mam miferi è associato allo sviluppo di diverse patologie. Uno studio guidato dall’Uni versità di Bologna ha dimostrato come il nichel, sostanza cor-responsabile nell’insorgenza del cancro ai polmoni, si lega a una specifica por zione della proteina chiamata NDRG1. Gli esiti potrebbero avere ripercussioni importanti nella ricerca farmacologica per la lotta ai tumori.

Professoressa Zambelli, la vostra ricerca par te da una conoscenza già acquisita da anni, ov vero che il nichel può contribuire allo sviluppo del tumore polmonare. Cosa rende cancerogena questa sostanza?

Che il nichel e i composti che lo contengono inducano la formazione di tumori a livello nasale e polmonare è noto fin al 1990, quando IARC (l’Agenzia Internazionale per la ri-cerca sul can cro) ha classificato questo metallo come un carci nogeno di classe 1. Tutta-via, i meccanismi mole colari con cui il nichel induce la trasformazione tumorale non sono ancora completamente chia ri. Il nichel non causa direttamente mutazioni a livello del DNA, ma agisce piuttosto a livello delle proteine, modificando l’espressione genica attra-verso meccanismi epigenetici. Ad esempio,

modifica la metilazione della cromatina e cambia l’attività di alcuni regolatori della trascrizione, con meccanismi non completamen-te noti. In alcuni casi, può sostituire il cofattore metallico fisiologico, ad esempio il ferro, nel sito attivo di enzimi. In questo modo, inibisce alcune demeti lasi che agiscono sulla metilazione degli istoni. Si è visto che, con lo stesso meccanismo, il nichel inibisce delle asparaginil- e prolil-idrossilasi che agiscono sulla subunità regolatoria del fattore indutto-re dell’ipossia, cioè cioè della carenza di ossigeno (HIF-1α). La mancata idrossilazione di HIF-1α ne impedisce il riconoscimento da parte del proteasoma e la conseguente degra-dazione. HIF-1α, così stabilizzato, attiva quindi la trascri zione di alcuni geni specifici per l’ipossia, e que sto cambio dell’espressione genica induce una risposta ipossica simile a quella che avviene nelle cellule tumorali.

Complice del nichel sembra essere la proteina NDRG1 sulla quale si è soffermata la ricerca da lei coordinata. Quale ruolo svolge?

Quando, a causa del nichel, le cellule attivano la loro risposta ipossica, l’espressione di NDRG1 aumenta. Nel cancro al polmone, questo feno meno è di solito associato al peg-gioramento della prognosi e a un aumento della resistenza alla chemioterapia. Fisiologi-camente, NDRG1

20 GdB | Nov/dic 2022
Intervista con Barbara Zambelli, professoressa associata al Dipartimento di Farmacie e Biotecnologie dell’Università di Bologna, coordinatrice della ricerca pubblicata su Biomoleculus
Intervista
di Ester Trevisan

è considerata un regolatore centrale della biochi mica cellulare, essen-do coinvolta nella gestione di molteplici sistemi metabolici, tra cui l’embrio genesi, il diffe-renziamento e la crescita cellulare, la sintesi dei lipidi, lo spostamento di vescicole, la progressione tumorale. Come questo avvenga a livello molecolare, come la proteina agi-sca e inte ragisca all’interno dell’ambiente cellulare, è però tuttora poco chiaro. Inoltre, NDRG1 è capace di legare nichel, ma non conosciamo come il nichel influenzi la sua at-tività fisiologica o patologica.

In quali passaggi si è articolata la ricerca?

NDRG1 contiene una sequenza C-terminale peculiare, definita ‘intrinsecamente disordi-nata’. L’ipotesi iniziale su cui si è articolata la ricerca è che questa porzione della proteina sia centra le per il suo funzionamento e per il modo in cui si lega al nichel. Le regioni in-trinsecamente di sordinate (IDR) sono sequenze di proteine dalla struttura flessibile, che funzionano in assenza di una forma tridimensionale definita. Queste regio ni sono spes-so direttamente responsabili dell’in terazione con co-fattori o con altre proteine o aci di nu-cleici, e ciò le mette al centro di importanti meccanismi di regolazione. Abbiamo pensato che, se questa IDR è centrale per la funzione del la proteina, è importante caratterizzarla a livello molecolare e definire le sue interazioni. Perciò abbiamo espresso la sequenza C-terminale di NDRG1 in Escherichia coli per via ricombinante e l’abbiamo isolata. Abbiamo poi verificato la sua natura intrinsecamente disordinata utilizzando tecniche spettroscopi-che come il dicroismo cir colare e risonanza magnetica nucleare (NMR). Successivamen-te, ci siamo chiesti se questa re gione fosse davvero in grado di legare il nichel. Abbiamo quindi studiato il legame con il metallo attraverso calorimetria e abbiamo mappato i resi dui amminoacidi coinvolti nell’interazione con il metallo tramite NMR. Infine, con esperimenti di biologia cellulare, abbiamo verificato come alcu ni dati strutturali ottenuti sulla proteina isolata si mantengono sulla stessa proteina espressa fisiolo gicamente nelle cellule pol-monari.

Quali sono i possibili scenari terapeutici che si profilano grazie a questo studio?

Considerando che il cancro al polmone è la prima causa di morte oncologica al mondo e che i fattori di rischio più rilevanti sono l’esposizio ne al fumo di sigaretta e a inquinanti ambientali, entrambi contenenti nichel, comprendere come questo metallo sviluppi il suo potenziale carci nogenico è di fondamentale importanza nella

Barbara Zambelli è

Professoressa associata al Dipartimento di Farmacie e Biotec-nologie dell’Uni versità di Bologna. Dopo la laurea in Biotecnologie industriali nel 2002, e il Dottorato di ricerca nel 2006, è diventata Ricer catrice a UniBO nel 2008. La sua ricerca si concentra sullo studio, a livello molecolare e strutturale, del-le interazioni tra le proteine che, nei sistemi biologici, regolano il metabolismo dei metalli di transizione, in particolare il nichel, alla base di processi metabolici im-portanti per la vita e la salute umana, con possibili applicazioni me diche e farmaco-logiche.

ricerca di nuovi approcci te-rapeutici di cura o prevenzione. Lo scopo finale della ricerca è quin di individuare modula-tori che interagiscano con la regione disordinata di NDRG1, coinvolta nel cancro al pol-mone causato da nichel, e ne in fluenzino l’attività oncogenica. Queste molecole potran-no poi essere proposte come terapie in novative per pazienti con carcinoma polmonare o individui esposti ad elevati concentrazioni di polveri sottili e nichel.

Da chi è composta l’équipe di ricerca?

Gran parte della nostra ricerca è altamente interdisciplinare, conta cioè sulla combinazio-ne di competenze diverse e complementari che col laborano per caratterizzare i sistemi biologici che studiamo. Oltre alla sottoscritta, il progetto ha coinvolto la dottoranda Ylenia Beniamino e il professore Stefano Ciurli, il quale ha coordinato la ricerca insieme a me, del Laboratorio di Chimi ca Bioinorganica del Dipartimento di Farmacia e Biotecnologie dell’Università di Bologna. Hanno partecipato anche il professore Mario Piccioli, dell’Università di Firenze, e la dottoressa Vittoria Cenni, del CNR di Bologna.

Su quali finanziamenti avete potuto contare?

La ricerca è stata finanziata dalla Fondazione Carisbo e ha beneficiato dell’accesso alla stru mentazione NMR presso il Centro risonanze magnetiche dell’Università di Firenze grazie a INSTRUCT, una piattaforma europea di infra strutture per la ricerca.

21 GdB | Nov/dic 2022 ”
Intervista
© Soloviova Liudmyla/shutterstock.com

LE PROPRIETÀ MAGNETICHE DI FOGLIE E LICHENI PER LO STUDIO DELLA QUALITÀ DELL’ARIA

L’inquinamento nelle nostre città e, in particolare, la qualità dell’aria che re spiriamo possono essere studiati attra verso il biomonitoraggio magnetico, una metodologia innovativa di ricerca che si basa sulle proprietà magnetiche di foglie e licheni.

Il particolato atmosferico, noto come PM, può comprendere, oltre a una frazione di ori gine naturale, una parte metallica e magnetica derivante dalle emissioni conseguenti ai pro cessi di combustione industriale e veicolare, o all’abrasione di freni e rotaie. Le particelle magnetiche da inquinamento, costituite princi palmente da ossidi di ferro, quando sono ultra fini, possono accumularsi persino nel cervello, e sono spesso associate a metalli nocivi quali rame, piombo, zinco, antimonio e bario. Ne gli ambienti antropizzati, queste particelle si depositano e si accumulano sulle foglie delle piante; pertanto, il biomonitoraggio magnetico può fornire preziose indicazioni anche sulle ca pacità fogliari di trattenere il particolato inqui nante, contribuendo così a mitigarne gli effetti nocivi sugli ambienti circostanti.

Aldo Winkler, primo tecnologo e responsa bile dell’unità funzionale “Paleomagnetismo” dell’Istituto Nazionale di Geofisica e Vulcano

logia (INGV), si occupa di magnetismo delle rocce e dei minerali, ed è particolarmente de dito al biomonitoraggio magnetico del parti colato atmosferico inquinante, recentemente indirizzato anche alla preservazione dei beni culturali.

Dottor Winkler, in cosa consiste il biomo nitoraggio magnetico dell’inquinamento at mosferico?

Il biomonitoraggio con metodi magnetici considera foglie e licheni come collettori di particolato metallico atmosferico, che ne mo difica sensibilmente le proprietà magnetiche, fornendo una rapida indicazione delle sorgenti emissive e consentendo la distinzione tra il PM dovuto a sorgenti naturali e quello di origine antropica.

Quali vantaggi offre l’utilizzo di foglie e li cheni?

Rispetto alle classiche centraline, che sono diffuse solo nelle aree urbane e in numero li mitato, essendo di gestione complessa, le foglie sono ampiamente disponibili e offrono la pos sibilità di utilizzare come indicatore un orga nismo biologico, che ci può dare informazioni sulla modificazione dei suoi tratti funzionali a seguito dell’accumulo di inquinanti. Dove non sono disponibili foglie, utilizziamo trapianti

22 GdB | Nov/dic 2022
Il biomonitoraggio al servizio della conservazione del patrimonio culturale. Intervista ad Aldo Wiunkler dell’unità di “Paleomagnetismo” dell’Istituto Nazionale di Geofisica e Vulcanologia (INGV)
Intervista
di Sara Bovio

di licheni, potendo realizzare reti osservative a fitta densità, peraltro utilizzando organismi di cui possiamo misurare le caratteristiche fisiche e chimiche prima dell’esposizione.

Che cosa sono i trapianti di licheni?

La procedura è di prelevare dei licheni in aree incontaminate e, dopo tre mesi di espo sizione nell’area d’interesse, confrontiamo le loro proprietà chimiche e magnetiche, acqui site a seguito dell’accumulo di inquinanti, con quelle dei campioni non esposti.

Quali sono le specie che usate con maggior frequenza?

Le piante e gli alberi non sono diffusi in tut ti i territori nella stessa maniera: per esempio, a Roma, gli alberi più presenti sono platani e lecci. I lecci sono bioaccumulatori migliori dei platani, hanno un’alta resistenza ad accumuli anche notevoli, ed emettono cere che immo bilizzano le polveri inquinanti, limitandone la successiva dispersione. Quando è possibile, come nello studio che abbiamo fatto a Villa Farnesina, abbiniamo i risultati conseguiti sulle foglie a quelli derivanti dall’esposizione di li cheni fruticosi. In quel caso i platani, ricorren ti su tutto il Lungotevere, e le specie presenti all’interno dei giardini della Villa, come cipres si, mirti e oleandri, ci hanno dato la possibilità

Lichene.

“Il biomonitoraggio con metodi magnetici considera foglie e licheni come collettori di particolato metallico atmosferico, che ne modifica sensi bilmente le proprietà magnetiche, fornendo una rapida indicazione delle sorgenti emissive e consentendo la distin zione tra il PM dovuto a sorgenti naturali e quello di origine antropica.

di studiare le variabilità di accumulo di PM in funzione della distanza dalla sede stradale e della specie campionata. Per quanto riguarda i licheni, abbiamo legato i pacchetti espositivi alle stesse specie arboree da cui avevamo preso le foglie, proseguendo la loro esposizione fino all’interno delle affrescate da Raffaello, la Log gia di Galatea e Amore e Psiche.

Che cosa avete scoperto con questo studio su Villa Farnesina?

Lo studio, realizzato con il coordinamento di Antonio Sgamellotti per l’Accademia Nazio nale dei Lincei, di cui Villa Farnesina è sede di rappresentanza, e con quello di Stefano Loppi, dell’Università di Siena, per la parte lichenica, ha dimostrato che l’impronta del particolato di natura automobilistica nelle sale è mode sta, per l’azione combinata della distanza dalla strada e l’opera di accumulo preventivo eser citata, principalmente, dai platani sul lungo tevere. Inoltre, l’esperimento è stato condotto da ottobre 2020 all’inizio di gennaio 2021: in quel periodo il traffico era ritornato a livelli in tensi dopo il lockdown, ma il museo è rimasto chiuso, per il perdurare delle norme contro la diffusione del Covid. Questo ci ha permesso di escludere l’insorgenza di polveri indoor, veico late dai visitatori o dagli impianti di areazione. La seconda fase del progetto servirà a stabilire come questi risultati cambieranno con la pre senza dei visitatori.

Quali altri progetti avete in programma?

A breve, inizieremo un progetto simile in Argentina, presso i musei nazionali di Buenos Aires, per provare queste metodologie sulle piante e sui licheni locali. Stiamo lavorando al Guggenheim di Venezia, per determinare l’impatto delle emissioni delle imbarcazioni attraverso le foglie di pitosforo campionate a diversa distanza dal Canal Grande e i liche ni esposti anche in prossimità delle opere di Picasso. Abbiamo avviato un accordo quadro con il Parco Archeologico del Colosseo, con lo scopo di studiare l’azione protettiva offerta dalla barriera di piante ideata per proteggere il Palatino dall’impatto del traffico veicolare circostante. Con questi metodi multidiscipli nari possiamo delineare i rimedi che le piante possono offrire per limitare l’impatto delle at tività antropiche sul nostro patrimonio cultu rale, arrivando a valutare, in funzione del sito, quali siano le specie più adatte a offrire servizi ecosistemici.

23 GdB | Nov/dic 2022 ”
Intervista

Aindurre l’artrite reumatoide nei sogget ti a rischio potrebbe essere un batterio intestinale identificato grazie al lavoro di un team di ricercatori coordinato da Kristine Kuhn, docente della Uni versity of Colorado Anschutz Medical Campus.

La scoperta, pubblicata sulle pagine della rivista specializzata “Science Translational Medicine”, ha avuto come oggetto il batterio appartenente al genere “Subdoligranulum didolesgii”, una specie precedentemente sconosciuta e di cui non è nota la diffusione tra la popolazione generale. A detta dei ricercatori, questo batterio sarebbe capace di scatenare la risposta autoimmune caratteristica dell’artrite reumatoide, quella in cui le difese im munitarie del paziente vanno in tilt e prendono di mira articolazioni ed altri tessuti.

Gli esperti sono riusciti ad individuare i sog getti a rischio «sulla base della presenza nel sangue di alcune molecole specifiche che possono esse re presenti già molti anni prima della diagnosi e che fungono quindi da marcatori di rischio», ha dichiarato Kuhn. La coordinatrice della ricerca ha spiegato: «Quando abbiamo esaminato quegli anticorpi, abbiamo trovato che un tipo appartiene alla classe di anticorpi che normalmente vedia mo in circolazione nella malattia, ma l’altro è un anticorpo che di solito associamo alla nostra mu cosa, che sia orale, intestinale o polmonare. Per questo abbiamo iniziato a chiederci: ‘Potrebbe esserci qualcosa nella mucosa che causa l’artrite reumatoide?». Megan Chriswell, prima autrice dello studio, su “The Conversation” ha aggiunto: «Nello specifico, ci siamo chiesti se i batteri nel microbioma, la comunità di microrganismi che

vive nell’intestino, potrebbero essere quelli che at tivano la risposta immunitaria che porta all’artrite reumatoide».

Durante lo studio, i ricercatori hanno esamina to il sangue e i campioni di feci di pazienti all’esor dio della malattia e di soggetti che presentavano un elevato rischio di svilupparla, ravvisando la presenza del batterio del genere “Subdoligranu lum” all’interno del microbiota del campione. Ciò ha fatto emergere che il batterio in questio ne era presente nell’intestino di circa il 20% delle persone con diagnosi di artrite reumatoide o che avevano in circolo gli anticorpi responsabili della malattia. Secondo gli autori, questi batteri inte stinali potrebbero attivare il sistema immunitario delle persone con artrite reumatoide, portandolo a colpire le articolazioni anziché i microrganismi. Ma cosa fa dedurre agli scienziati che Subdoligra nulum didolesgii sia addirittura una causa plausi bile dell’insorgenza dell’artrite reumatoide nelle persone a rischio? Il fatto che il batterio sia stato rinvenuto soltanto nell’intestino di persone affet te dalla patologia. In provetta, gli esperti hanno successivamente dimostrato che gli autoanticorpi della malattia reagiscono attaccando in maniera specifica questo batterio. Un test effettuato in se guito su topi da laboratorio, ha inoltre consentito di osservare che, trapiantando il batterio nell’inte stino dei roditori, è possibile effettivamente indur re lo sviluppo della patologia negli animali. I ri sultati della ricerca potrebbero adesso spalancare la strada allo sviluppo di nuovi trattamenti contro l’artrite reumatoide. In particolare, a detta dei ri cercatori, sarebbe possibile scongiurare il rischio di sviluppare la malattia eliminando il batterio nei

ARTRITE REUMATOIDE: CAUSA IN UN INTESTINALE SCONOSCIUTO?

Secondo i ricercatori il batterio appartenente al genere “Subdoligranulum didolesgii” sarebbe capace di scatenare di Domenico Esposito

24 GdB | Nov/dic 2022 Salute

soggetti a rischio o subito dopo la diagnosi. Tutta via sono gli stessi esperti a rimarcare la necessità di proseguire nell’esplorazione di questo filone di stu dio per dimostrare ulteriormente la loro teoria. Se quanto suggerito dalla ricerca venisse corroborato da ulteriori evidenze scientifiche, nsi avrebbe maggiore chiarezza sulle origini dell’artrite reumatoide e si potrebbero anche svi luppare nuove strategie di preven zione e di trattamento. A riguardo, Kristine Kuhn ha dichiarato: «La prossima cosa che vogliamo fare è capire, in popolazioni più ampie di individui a rischio, se questi batteri sono associati ad altre risposte im munitarie genetiche, ambientali e delle mucose, e se, in definiti va, sono correlati allo svilup po dell’artrite reumatoide. Se riuscissimo a capire come innescano queste risposte immunitarie, potremmo essere in grado di bloccarli». Se ciò avvenisse, sarebbe a portata di mano l’obiet tivo di bloccare o limitare l’in sorgere di una malattia che se condo le stime dell’Organizza zione mondiale della sanità, pre

BATTERIO

sen ta una prevalenza nel mondo compresa fra lo 0,3 e l’1%, con maggiore incidenza fra la donne e nei Paesi ricchi. Una ricerca svolta in 50 Stati americani nel 2001, mediante questionario e in tervista, ha osservato che il 33% degli adulti dichiara di avere una forma di artri te, con una prevalenza più alta nelle persone più anziane. La forma più comune è l’osteoar trite che affligge circa 21 milioni di persone adul te, mentre l’1% della popolazione (all’incirca poco più di due milioni di persone) soffre di artrite reumatoide.

L’artrite reumatoide è una malattia au toimmune che si manifesta generalmente in maniera simmetrica nei vari organi, colpendo entrambe le mani o entrambe le ginocchia. Sono sintomi tipici della malattia: dolore, gonfiore, tumefa zione, sensazione di calore e rigidità nelle articolazioni interessate. L’ar trite reumatoide può fare la sua comparsa a qualunque età ma so litamente colpisce le persone nel loro periodo di maggior produt tività. Le donne colpite sono circa due volte più numerose degli uomini.

25 GdB | Nov/dic 2022 Salute
la risposta autoimmune
© MBLifestyle/shutterstock.com

SENTIMENTI DI PANCIA . COME IL TRATTO GASTROINTESTINALE INTERAGISCE CON LE EMOZIONI

Uno studio italiano ha usato le pillole intelligenti radiocomandate per studiare il rapporto tra gli organi più profondi del corpo e le peculiarità psicologiche dell’individuo

La cognizione di un arto o della no stra testa è strettamente legata alla nostra pancia. A dirlo è uno stu dio recente, pubblicato su iScien ce. Il Dipartimento di Psicologia della Sapienza, in collaborazione con il labo ratorio Neuroscience and Society del centro dell’Istituto Italiano di Tecnologia (IIT) di Roma (CLN2S@Sapienza), i ricercatori han no utilizzato le cosiddette pillole intelligenti, wireless capsule perché radiocontrollate, per dimostrare la correlazione tra lo stato fisiolo gico dell’apparato gastrointestinale e la con sapevolezza del proprio corpo.

Le pasticche sono dotate di un termome tro, un manometro e un sensore di acidità miniaturizzati. Ingerite come normali com presse, durante glie sperimenti su 31 indivi dui maschili, hanno registrato i valori mentre erano localizzate in tre diversi tratti dell’inte stino. La ricerca ha evidenziato che gli organi più profondi del nostro corpo, come quelli appartenenti al tratto gastro intestinale, sono gli unici in grado, attraverso segnali manda ti ai nervi periferici, di captare sempre tutto ciò che ci circonda. «Il problema - afferma

Salvatore Maria Aglioti, professore alla Sa pienza e Ricercatore Senior presso l’IIT - è che, una cosa è studiare il ruolo dell’attività cardiaca o respiratoria nella consapevolezza corporea, come abbiamo fatto in preceden za, una cosa è studiare l’attività del tratto gastrointestinale. Stomaco e intestino sono organi profondi e contorti, che normalmente vengono indagati per mezzo di sonde molto invasive: chiunque abbia fatto una gastrosco pia o una colonscopia lo sa per esperienza».

Per superare questo ostacolo, le pillole intelligenti dotate dei sensori sono apparse come lo strumento ideale per i ricercatori che hanno così esplorato il collegamento tra stomaco, intestino e percezione del proprio corpo. La tecnologia alla base delle partico lari pillole è altamente progredita e mai im piegata prima nel campo delle neuroscienze cognitive. I dati registrati a intervalli re golari su temperatura, pressione e acidità gastrointestinale, una volta raccolti, sono stati trasmessi a una ricetrasmittente ester na, collegata senza fili. Per capire se vera mente ci fosse una correlazione tra lo stato fisiologico dell’apparato gastrointestinale e

26 GdB | Nov/dic 2022
Salute
di Elisabetta Gramolini

la consapevolezza del proprio corpo, i par tecipanti, dopo aver ingerito la compressa, indossavano un visore 3D per osservare un corpo virtuale.

L’avatar riprodotto poteva presentarsi in due situazioni differenti: nella prima, il per sonaggio aveva un aspetto simile al paziente, si trovava nella sua stessa posizione e respi rava come lui; nella seconda invece il perso naggio era incongruente, cioè differente dal partecipante. Alla fine di questa esperienza, il paziente doveva descrivere quanto si sen tiva “incorporato” al corpo virtuale appena mostrato. Tale procedura doveva essere ripe tuta tre volte, a seconda della posizione del la pillola intelligente: la prima, in prossimità dello stomaco, la seconda nell’intestino tenue e la terza nell’intestino crasso. Nello studio, gli autori riportano che più era bassa la tem peratura, più i partecipanti si sentivano di sincarnati e, allo stesso modo, più era basso il pH dell’intestino tenue, maggiore era la valu tazione della disincarnazione.

Una delle deduzioni a cui giungono è come un’attività intestinale più forte possa aumentare la rappresentazione del proprio

La nuova scoperta ha implicazioni per una serie di condizioni patologiche. Potrà ad esempio servire ai ricercatori per capire se è vero che i segnali del tratto gastrointestinale hanno un ruolo cruciale nei disturbi alimentari e nei disturbi di deperso nalizzazione e derealiz zazione.

Le pillole furbe

Dopo i dispo sitivi indos sabili, anche le compresse controllate da un sistema wire less rappresen tano una novità recente che si è affacciata ne gli ultimi cinque anni specie nel la medicina gastrointestinali per compiere esami endoscopici. La loro lunghezza è in torno ai 26 millimetri per circa 4-5 grammi di peso. Il loro mercato è crescente e si stima che possa raggiungere i 2068,48 milioni di dollari entro il 2032. L’uso di questi dispositi vi, in particolare quelli in grado di rilasciare il farmaco in maniera controllata, viene visto in maniera positiva per aumentare l’aderenza alle cure da parte dei pazienti cronici, seb bene apra allo stesso tempo delle questioni di bioetica legate al controllo esterno e alla perdita del legame di fiducia con il medico.

corpo, mentre un’azione più debole possa offuscare e far sentire gli individui distaccati dal fisico. «Si tratta di uno studio all’avan guardia – commenta Alessandro Monti, pri mo autore dello studio - che ha permesso ai ricercatori di capire come la consapevolezza e l’attività del tratto gastrointestinale siano collegate tra di loro, infatti, quando presen tiamo una forte consapevolezza del nostro corpo, i nostri organi interni si presentano più attivi rispetto a quando questa sensazio ne viene a mancare».

La nuova scoperta ha implicazioni per una serie di condizioni patologiche, come fanno notare Giuseppina Porciello e Maria Serena Panasiti, neuroscienziate cliniche e co-autrici dello studio. Potrà ad esempio ser vire ai ricercatori per capire se è vero che i segnali del tratto gastrointestinale hanno un ruolo cruciale nei disturbi alimentari e nei disturbi di depersonalizzazione e derealizza zione. Non solo, tramite la metodologia delle pillole intelligenti si potrà capire se la fisiolo gia del tratto gastrointestinale possa interfe rire sulle emozioni e il ragionamento morale dell’individuo.

27 GdB | Nov/dic 2022
Salute
© © Vera Aksionava/shutterstock.com

SCOPERTO ORMONE CHIAVE CHE POTREBBE RIDURRE I DANNI DELL’INFARTO

I ricercatori dell’Università di Bologna hanno studiato i glucocorticoidi e la capacità rigenerativa delle cellule per riparare il tessuto del cuore

Le malattie cardiovascolari rappre sentano una delle principali cause di morte al mondo. Oggi, la spe ranza di riparare il cuore dopo un infarto potrebbe diventare realtà grazie ad una scoperta dei ricercatori dell’U niversità di Bologna che hanno identificato un ormone chiave nella rigenerazione dei tessuti cardiaci.

Durante un infarto miocardico, il flusso sanguigno che trasporta il sangue al cuore si interrompe per un’occlusione transitoria o completa dei vasi coronarici.

Uno dei fattori determinanti nelle sue conseguenze fatali è la mancata rigenera zione delle cellule del cuore che morendo, compromettono irreparabilmente la capacità vitale di pompare il sangue.

Una nuova strada all’incapacità rigenera tiva del cuore si è aperta con lo studio in ternazionale coordinato dall’Università di Bologna e pubblicato sulla rivista Nature Cardiovascular Research.

Gli scienziati, guidati dal dottor Gabrie le D’Uva, ricercatore e docente di biologia molecolare presso l’ateneo bolognese si sono

concentrati su una classe di ormoni, i gluco corticoidi, interrogandosi sull’attività di ri generazione delle cellule del cuore. «La loro inibizione ha mostrato esiti promettenti nella riparazione del tessuto cardiaco danneggia to» afferma il coordinatore. Per comprende re le novità dello studio occorre conoscere dall’interno il meccanismo di riproduzione delle cellule del corpo umano e differenziare il processo rigenerativo da quello riparativo.

I tessuti e gli organi del corpo umano come la pelle, l’epitelio intestinale o il san gue sono caratterizzati da un elevato rin novamento cellulare su base giornaliera o settimanale. Il cuore, diversamente, ha una capacità di rinnovo cellulare estremamente bassa. Il tasso di rinnovamento delle cellule vecchie con quelle nuove infatti è minimo ed insufficiente a garantirne la rigenerazione in caso di infarto miocardico. Da poco più di un decennio si sa che «il rinnovamento cellulare cardiaco in fase adulta dell’uomo è di solo 1% all’anno e decresce con l’età, a 75 anni si giunge allo 0,3% annuo» spiega il ricerca tore. Ciò significa che «un individuo adulto o anziano avrà oltre la metà delle cellule del

28 GdB | Nov/dic 2022
Salute
di Anna Lavinia

cuore che aveva alla nascita». Il cuore, nei primi momenti di vita, possiede una robusta capacità rigenerativa, proprio perché le cel lule muscolari che lo compongono sono an cora in attiva divisione per generare l’organo. Successivamente, per far fronte ai cambia menti del corpo e quindi supportare nuove funzioni di cui ha bisogno, la capacità si per de rapidamente. Aumenta certamente la sua efficienza, le cellule diventano mature e forti per contrarsi più efficacemente, ma smettono di proliferare perdendo quindi la capacità ri generativa. Se in fase adulta «il cuore subisce un trauma come nel caso dell’infarto, il dan no sarà permanente». Come afferma D’U va, l’incapacità rigenerativa potrebbe essere dovuta «a molteplici fattori ed al fatto che il cuore è un organo che deve essere sempre efficiente è non può permettersi di fermarsi mai». La svolta oggi potrebbe rivelarsi nell’i dentificazione di una classe di ormoni fisio logici regolatori della capacità proliferativa delle cellule del cuore. Il gruppo di ricerca, infatti, ha ipotizzato l’importanza del ruolo dei glucocorticoidi nella rigenerazione del muscolo cardiaco.

La suddetta classe di ormoni, comprende sostanze note come il cortisolo, il maggior ormone dello stress, così come i suoi deri vati, principi attivi con azione antinfiamma toria. È possibile analizzare il ruolo degli ormoni studiati partendo da alcuni assunti e informazioni già note nel funzionamento dei polmoni, annota il docente: «nel periodo immediatamente prima, il cortisolo aiuta a far maturare le cellule dei polmoni in modo da permettere di respirare nel momento in cui si nasce». L’ipotesi è quella di assimilare a questo il meccanismo del cuore per com prendere se il processo di maturazione del tessuto cardiaco sia anch’esso dipendente dalla stessa famiglia di ormoni. «Abbiamo identificato che i glucocorticoidi aiutano le cellule del cuore a maturare a discapito della loro capacità di proliferare», precisa il coordinatore dello studio, di fatto quando una cellula si specializza ulteriormente nel la sua funzione perderà la sua capacità di proliferare. Il team di Bologna, dopo questa evidenza, ha provato a “bloccare” in manie ra selettiva il recettore degli ormoni tramite delezione; si è dimostrato che senza il recet tore attivato, il cuore matura di meno e con

cludono «gli rimane una capacità maggiore di riattivare il programma proliferativo e rigenerativo specialmente in seguito ad un danno».

Attraverso la somministrazione di inibi tori dell’ormone (con farmaco antagonista) si facilita la riattivazione della proliferazione delle cellule muscolari cardiache e dunque, usando le parole dell’intervistato «si può stimolare e promuovere un processo seppur parziale di rigenerazione del cuore».

Queste ipotesi di rinnovamento cellulare sono possibili grazie a sofisticate tecniche di biologia molecolare applicate, per il momen to, sugli animali. Ciononostante rappresen tano un importante avanzamento per la ri cerca e per trovare presto una cura a milioni di pazienti in tutto il mondo.

Un grande passo in avanti verso il prossi mo obiettivo, testare questa strategia in trial clinici ed eventualmente combinarla con approcci medici che puntino a rigenerare il cuore. Se, domani, la modulazione farma cologica risultasse efficace sull’uomo, si po trà trovare una reale soluzione terapeutica all’infarto.

29 GdB | Nov/dic 2022
Salute
© mi_viri/shutterstock.com
Una nuova strada all’in capacità rigenerativa del cuore si è aperta con lo studio internazionale coordinato dall’Università di Bologna e pubblicato sulla rivista Nature Car diovascular Research.

Dedicarsi all’attività fisica, è noto, fa sempre bene. Sono i medici a racco mandarla alle persone di tutte le età e sesso (ovviamente con modalità diffe renti da persona a persona), ma in par ticolare a coloro che soffrono o presentano fattori di rischio che li portano ad avere una maggiore probabilità di sviluppare il diabete. Adesso però una nuova ricerca pubblicata su “Diabetologia”, la rivista della European Association for the Stu dy of Diabetes (Easd), si spinge oltre, suggerendo come a giocare un ruolo importante sull’efficacia dell’attività fisica nell’attività di prevenzione al diabete sia anche l’orario. L’esercizio svolto nel pomeriggio, infatti, ma a maggior ragione la sera, si assocerebbe ad un minore sviluppo di resisten za all’insulina, e dunque ad un migliore controllo degli zuccheri nel sangue.

Allo scopo di comprovare lo studio, gli autori della ricerca - gli scienziati del Leiden Universi ty Medical Center - hanno impiegato i dati di un altro studio, quello olandese “Epidemiology of Obesity”, nel quale le misurazioni di frequenza cardiaca ed accelerazione sono state utilizzate per determinare da un lato l’intensità, dall’altro il tem po delle attività fisiche svolte. Così facendo, i ri cercatori hanno osservato che su 775 partecipanti con età media di 56 anni, in so vrappeso, e per i quali era no disponibili set di dati completi, un’attività fisica di intensità da moderata a vigorosa

era in genere associata sia a una ridotta resisten za all’insulina che a un diminuito contenuto di grasso nel fegato. Tuttavia, se l’attività veniva svol ta di sera, dunque dalle 18:00 a mezzanotte, o di pomeriggio (nel periodo compreso fra le 12:00 e le 18:00), questa risultava legata a una riduzione dell’insulino-resistenza pari rispettivamente al 25% e al 18%. Le cose cambiavano se l’attività fi sica veniva svolta di mattina o distribu ita in maniera uniforme durante la giornata: in questo caso non si osservava una grande differenza nei valori.

Già in passa to alcuni studi hanno dimo strato che le risposte meta boliche all’eserci zio di alta intensi tà mutano in base all’orario del giorno in cui vengono svolte. Tuttavia, gli esperti sugge

DIABETE: L’ATTIVITÀ FISICA SERALE CONTROLLEREBBE

Un nuovo studio suggerisce che a giocare un ruolo decisivo nella

30 GdB | Nov/dic 2022 Salute
© bbernard/shutterstock.com

riscono prudenza e invitano a realizzare ulteriori studi di questo tipo nel campo del diabete, essen do questo ambito ancora non sufficientemente esplorato. A soffrire di diabete nel mondo sono 537 milioni di persone. Come sottolineato dall’Isti tuto superiore di Sanità, esistono principalmente due tipi diversi di diabete: il tipo 1, che riguarda circa il 10% della popolazione affetta, e il tipo 2, che riguarda il restante 90%. In entrambi i casi la causa alla base della malattia è ignota. Per quanto riguarda il diabete di tipo 1, il pancreas non produ ce insulina, che di conseguenza deve essere iniet tata ogni giorno e per tutta la vita. Nel diabete di tipo 2 invece è certo che il pancreas sia in grado di produrre insulina, ma le cellule dell’organismo non riescono poi ad utilizzarla. Esiste poi un’altra forma della patologia, detta diabete gestazionale, che si defini sce tale quando un elevato livello di glucosio viene misurato per la prima volta in gravidanza. Questa condizione viene sperimentata dal 4% circa delle donne incinte. La definizione in questo caso prescinde dal tipo di trattamento utilizzato, sia che interessi unica mente l’aspetto dietetico, sia che richieda la sommi nistrazione di insulina. Nella gestio ne del diabete gestazionale è richiesta una mag giore frequenza di controlli, per la gravi da e per il feto.

Lo studio ha preso le mosse a partire da una consapevolezza, quella che l’attuale pandemia di obesità è in parte una conseguenza della mancanza di attività fisica e del comportamento sedentario durante il giorno. Quest’ultima abitudine è asso ciata infatti ad un aumentato rischio di malattie cardiometaboliche, incluso il diabete di tipo 2. Diversi studi hanno dimostrato che brevi interru zioni nel tempo sedentario sono correlate ad un migliore profilo cardiometabolico, inclusa la ridu zione delle concentrazioni di trigliceridi e gluco sio. L’ipotesi degli studiosi è che spezzare il tempo trascorso in maniera sedentaria potesse ridurre il grasso epatico e la resistenza all’insulina, preve nendo infine il diabete di tipo 2. Lo studio si è per tanto concentrato sull’indagare le correlazioni tra i tempi dell’attività fisica e le interruzioni del tempo sedentario con il contenuto di grasso del fegato e la resistenza all’insulina in una popolazione di mez za età. Nei giorni scorsi si è celebrata la Giornata mondiale del diabete, una ricorrenza istituita nel 1991 ad opera dell’International Diabetes Federa tion (IDF) e dall’Organizzazione Mondiale della Sanità (OMS) con l’obiettivo di sensibilizzare e informare l’opinione pubblica sulla prevenzione e sulla gestione di una patologia cronica che, in base ai dati ISTAT, nel 2020 si stimava colpisse in Italia oltre 3,5 milioni di persone, con un trend in lento aumento negli ultimi anni. La prevalenza aumenta al crescere dell’età fino a raggiungere il 21% tra le persone ultra 75enni. La prevalenza (dati non standardizzati) è mediamente più bassa nelle Re gioni del Nord-ovest (5,4%), del Nord-est (5,3%) e del Centro (5,5%), rispetto a quelle del Sud (7%) e delle Isole (6,7%). Il diabete sembra non essere democratico: è infatti più frequente fra gli uomini che fra le donne (5,3% vs 4,1%), nonché nelle fasce di popolazione socio-economicamente più svantaggiate per istruzione o condizioni eco nomiche, fra i cittadini italiani rispetto agli stranie ri, e nelle Regioni del Sud rispetto a Centro e Nord Italia. (D. E.).

CONTROLLEREBBE GLI ZUCCHERI NEL SANGUE

prevenzione del diabete sarebbe anche l’orario dell’esercizio fisico

31 GdB | Nov/dic 2022 Salute

Assumere una manciata di mandorle ogni giorno può rappresentare un aiuto per la salute intesti nale? Risposta affermati va per gli studiosi del King’s College di Londra, autori di una nuova ricer ca - pubblicata sull’American Journal of Clinical Nutrition - secondo cui assumere circa 56 grammi al giorno di mandorle avrebbe effetti benefici sulla salute dell’intestino e del colon, andando a rafforzare il microbioma, cioè la micro-popolazione batterica intestinale che consente al colon di funzionare. I miglioramenti in que stione sarebbero da ascrivere alla capacità delle mandorle di aumen tare la presenza all’interno del colon di butirrato, un grasso a catena cor ta che viene prodotto dai probiotici nell’intestino nella fase di digestione delle fibre. Il butirrato sembrerebbe essere la principale fonte di energia per le cellule che rivestono il colon, i colonociti: la presenza di tale acido grasso riveste un ruolo fondamentale nel miglioramento degli stati infiam matori intestinali.

La conduzione dello studio è avve nuta presso il King’s College di Lon dra grazie ad un team di ricercatori diretti dal professor Kevin Whelan. La ricerca ha visto protagonisti 87 partecipanti sani, di sesso differente e di età compresa tra i 18 e i 45 anni, un campione cui è stato chiesto di consumare per un mese mandorle in tere o in polvere o altri tipi di snack. I partecipanti hanno dichiarato che nonostante effettuassero due o più spuntini al giorno non assumevano la quantità di fibre consigliata dalle evi denze scientifiche. Il professor Whe lan e la sua équipe hanno dunque ve rificato che inserendo negli spuntini una manciata di mandorle al giorno si assisteva ad un aumento rilevante di butirrato e a una diminuzione signi ficativa della stitichezza, senza avere effetti collaterali di tipo gastrointesti nale. Questa evidenza è una confer ma che il consumo giornaliero di una

UNA MANCIATA DI MANDORLE PER LA SALUTE DELL’INTESTINO

Uno studio sostiene che 56 grammi di mandorle assunte quotidianamente rafforzerebbero il microbioma con effetti positivi su intestino e colon

dose limitata di mandorle agisce po sitivamente sul microbioma e incre menta la quantità di fibre assunte con l’alimentazione, oltre a rappresentare un indice di alterazioni positive alla funzionalità del microbiota.

I ricercatori hanno sottolineato che il butirrato «dà energia alle cel lule che rivestono il colon, induce la proliferazione dei microbi intestinali che rendono il colon forte, previene infiammazioni e aiuta l’assorbimento dei nutrienti». Il professor Whelan ha concluso: «Grazie a questi dati ora siamo convinti che il consumo di mandorle sia da suggerire al pubblico

in quanto ha effetti benefici sul meta bolismo batterico intestinale, influen zando così positivamente la salute». Le mandorle tuttavia non sono prive di controindicazioni, nello specifico la presenza di aflatossine potrebbe causare epatotossicità e il contenuto di acido arachidonico, in dosi ele vate, potrebbe condurre a fenomeni infiammatori. È necessario pertanto non eccedere con la quantità ingeri ta giornalmente e nella frequenza di assunzione; inoltre è sempre consi gliabile preferire le mandorle con la buccia perché più ricca di sostanze nutrienti e fibre. (D. E.).

33 GdB | Nov/dic 2022
Salute
© Krasula/shutterstock.com

Aottobre 2022 gli appassionati di tricologia ricevono una notizia entusiasmante: in un laborato rio dell’Università Nazionale di Yokohama sono stati coltivati i primi follicoli piliferi funzionanti a partire da cellule embrionali murine e trapiantati in vivo senza rigetto. Per la prima volta dopo diversi tentativi in passato, i ricercatori sono stati in grado di produrre organoidi sempli ficati del follicolo pilifero capaci di pro durre capelli veri e vitali. Lo studio è stato pubblicato su Science Advances, articolo in cui la ricerca guidata dal dott. Tatsuto Ka geyama, oltre ad offrire risultati in termini di sviluppo e crescita capillare, è stata in grado anche di influenzare la pigmentazio ne dei capelli. Tale risultato è frutto di anni

di ricerca sulle interazioni embrionali tra gli strati epidermici e mesenchimali, pro prio i due strati che innescano la morfoge nesi del follicolo pilifero: l’epidermide e il mesenchima interagiscono reciprocamente nello sviluppo embrionale per innescare il processo di morfogenesi in cui le cellule ini ziano a unirsi per formare l’organo pilifero.

La riprogrammazione e il controllo di queste interazioni ha consentito l’induzio ne della formazione del follicolo pilifero in vitro. Un approccio chiave nella ripro grammazione è stato quello di modulare le distribuzioni nello spazio delle cellule epi teliali e mesenchimali.

Nello specifico i ricercatori di Yokoha ma hanno iniziato a lavorare con le cellule epiteliali e mesenchimali raccolte da topi

34 GdB | Nov/dic 2022 Salute
© Tonhom1009/shutterstock.com

embrionali. Alcuni di questi gruppi di cel lule sono stati coltivati con una sostanza chiamata Matrigel e altri senza. Matrigel è una preparazione di membrana basale so lubilizzata, estratta dal sarcoma murino di Engelbreth-Holm-Swarm, un tumore ricco di proteine della matrice extracellulare tra cui laminina, collagene IV, proteoglicani eparina solfato, entactina/nidogeno, e una serie di fattori di crescita. Le vie di segnala zione tricogeniche tipiche della produzione capillare sono state così sovra regolate e i 2 tipi di cellule si sono aggregati formando una struttura organizzata. La struttura or ganizzata si è poi sviluppata, con un tasso di successo di quasi il 100%, in un organoide follicolare maturo che produce capelli con una crescita di 2 millimetri dopo 23 giorni.

Durante questo processo, i ricercatori sono stati in grado di studiare come il fol licolo si è sviluppato a livello molecolare, e hanno anche testato un farmaco che stimola la produzione di melanociti, per favorire la pigmentazione in coltura.

Mediante l’utilizzo di array PCR sulla matrice extracellulare (ECM) si è osservato che quasi la metà dei geni (39 su 80 geni)

erano sostanzialmente sovra regolati. I geni sovra regolati >1,5 volte includono fibuli na-1, fibronectina, laminina (Lama3, Lamb3 e Lamc1), collagene (Col1a1, Col4a1, Co l4a2 e Col5a1), versican, Tgfbi, integrina β1 e metallo proteinasi della matrice (Mmp2, Mmp9, Mmp11 e Mmp15). Collettivamen te, i risultati dell’array PCR implicano che i follicoli piliferi hanno riprogrammato le loro nicchie attraverso l’attivazione della se crezione e la ricostituzione delle ECM.

I follicoli ottenuti in coltura sono stati trapiantati in topi nudi per osservare se gli organoidi potevano integrarsi in un corpo vivente. Una volta trapiantati, gli organoi di sono maturati in follicoli adulti e hanno prodotto capelli per diversi cicli di crescita, della durata di almeno 10 mesi.

Lo studio citato nel presente articolo espone a voli pindarici di potenziali appli cazioni, ma bisogna ricordare che parliamo ancora di uno studio su topi e non può an cora applicato agli esseri umani. Nonostan te questo, la ricerca umana è il prossimo tra guardo da raggiungere all’ordine del giorno. A differenza dello studio sui topi, il team che sta organizzando lo studio sull’uomo non utilizzerà le cellule raccolte dagli em brioni, ma prenderà le cellule donate dagli adulti e le reingegnererà in cellule staminali, dalle quali sperano di far crescere le cellule epiteliali e mesenchimali necessarie per co stituire i nuovi follicoli umani. Questa ricer ca potrebbe aiutare moltissimo chi soffre di calvizie ed essere una fonte donatrice ine sauribile per gi autotrapianti.

FOLLICOLI

DA LABORATORIO

Bibliografia

• Tatsuto Kageya ma, Akihiro Shimi zu, Riki Anakama, Rikuma Nakajima, Kohei Suzuki, Yusuke Okubo, Junji Fukuda “Re programming of three-dimensional microenvironmen ts for in vitro hair follicle induction.”

Science Advances 21 Oct 2022. Vol 8, Issue 42

• B. Mancini “Dalle staminali agli organoidi pelosi” Il giornale dei Biologi luglio/agosto 2020. Anno III - N. 7-8 pag. 58.

35 GdB | Nov/dic 2022
Salute
L’Università di Yokohama ha coltivato i primi follicoli piliferi funzionanti e trapiantati in vivo senza rigetto di Biancamaria Mancini

Corso Fad

Luglio-dicembre 2022

36 GdB | Nov/dic 2022
SERVIZI ECOSISTEMICI URBANI www.onb.it

Dopo la scuola Salernita na, che era stata capace di raggruppare i saperi scientifici di tante cultu re (araba, latina, ebraica e greca) per convogliarli sulla for mazione dei medici, agli inizi del XIII sec. sorgono in Italia le prime università. Napoli, per volere del re di Svevia Federico II, diviene sede universitaria: merito di Federico II, riconosciutogli dai critici e dagli sto rici, è stato quello di avere promosso e favorito con interventi mirati l’a vanzamento del pensiero scientifico e, in generale, delle scienze.

In alcuni interventi, di cui stu diosi di quel tempo fanno cenno, Federico II conferma la necessità di porre attenzione alla validità scientifica della cultura araba e di alcune discipline scientifiche, come la matematica, l’alchimia e le scienze naturali per iniziare a raccogliere le tante conoscenze ed esperienze laboratoriali, che ormai caratterizzavano e qualificavano il mondo della scienza.

Nel 1240, proseguendo il suo progetto di promozione delle scien ze, nella città di Melfi Federico II emana le “Costitutiones” con cui viene istituito il ruolo del farmacista, stabilisce regole e comportamenti per l’esercizio di una farmacia, fissa il numero di esercizi farmaceutici in base al numero degli abitanti, intro duce il costo dei medicinali, impone ai medici e ai farmacisti, alla maniera del codice ippocrateo, il giuramento di essere fedeli a quanto stabilito dalle leggi e di non incorrere nell’il legalità o nella corruzione.

Prima della riforma federiciana i farmacisti non erano altro che ven ditori di erbe medicinali e venivano chiamati Speziali. Ai tempi di Dan te, e sicuro nel 1200, la categoria degli speziali insieme a quella dei medici avevano un ruolo di note vole importanza nella gestione del Comune e della politica. Lo stesso Dante si iscrisse alla Corporazione

LA TECNICA FARMACEUTICA A PARTIRE DAL XIII

SECOLO D.C.

Federico II emana le “Costitutiones” con cui viene istituito il ruolo del farmacista, stabilendo regole e comportamenti per l’esercizio di questa professione

degli Speziali, soprattutto per avere una copertura politica ma anche per avere accesso alle biblioteche delle farmacie. Intanto la categoria degli Speziali era in forte ascesa a Siena, a Venezia e a Palermo e questo de terminava la necessità di dare luogo a regolamenti e prescrizioni, a cui dovevano attenersi medici e speziali cioè farmacisti.

La riforma di Federico II, quindi, ha inteso fare chiarezza sul rapporto tra medici e farmaci

sti con l’assegnazione di un ruolo ben individuato, intercorrente ma indipendente. Nel corso del XIII e XIV sec. conosce un forte svi luppo la tecnica galenica, come origine della materia medica come la tossicologia, che aveva rivolto il proprio interesse alla preparazio ne di formulazioni o ricette di me dicamenti atti alla somministra zione. la tecnica galenica sarà in un secondo tempo definita tecnica farmaceutica.

37 GdB | Nov/dic 2022
Salute
© SvedOliver/shutterstock.com di Barbara Ciardullo

NEI CORALLI LE MUTAZIONI POSSONO ESSERE TRASMESSE ALLE GENERAZIONI SUCCESSIVE

La scoperta dimostra una nuova via per la generazione della diversità genetica, fondamentale anche per consentire alle barriere coralline di adattarsi al clima che cambia rapidamente

Da anni si susseguono notizie sullo stato sofferente in cui versano le barriere coralline. I cambiamenti climatici in atto e in particolare il riscaldamen to degli oceani colpiscono in modo a volte irreversibile i delicati e fragili organismi marini che le compongono. Sembra però esserci una speranza, affidata alla natura, che consentirebbe ai coralli in pericolo di adattarsi a condizioni ambientali in rapido cambiamento. Un team internazionale di scienziati guidati dai biologi dell’americana Penn State University, ha dimostrato che i coralli possono trasmettere alle generazio ni successive alcune mutazioni somatiche, cioè cambiamenti della sequenza del DNA che si verificano in cellule non riprodutti ve. Questa possibilità rappresenterebbe un nuovo potenziale percorso di cui non si era a conoscenza per lo sviluppo della diversità genetica fondamentale per permettere l’a dattamento evolutivo delle specie.

L’articolo che de scrive lo studio è stato pubblicato sulla rivista Scien ce Advances. Iliana

Baums della Penn State, leader del team di ricerca, spiega: «Per la maggior parte degli animali, una nuova mutazione genetica può contribuire al cambiamento evolutivo solo se si verifica in una cellula germinale o riprodut tiva, ad esempio in una cellula uovo o sperma tica. Le mutazioni che si verificano nel resto del corpo, nelle cellule somatiche, si pensa va fossero evolutivamente irrilevanti perché non vengono trasmesse alla prole. Tuttavia, i coralli sembrano avere un modo per aggirare questa barriera che sembra permettere loro di infrangere questa regola evolutiva».

«Nella maggior parte degli animali, le cel lule riproduttive sono segregate (separate) da quelle corporee nelle prime fasi dello svi luppo», spiega Kate Vasquez Kuntz, coautri ce dello studio. «Comunemente – prosegue la ricercatrice - solo le mutazioni genetiche che si verificano nelle cellule riproduttive hanno il potenziale per contribuire all’evo luzione della specie. Questo lento processo di attesa di mutazioni rare in un particolare insieme di cellule può essere particolarmen te problematico data la natura rapida del cambiamento climatico. Tuttavia, per alcu ni organismi, come i coralli, la segregazio ne delle cellule riproduttive da tutte le altre

38 GdB | Nov/dic 2022 Ambiente

cellule può avvenire più tardi nello sviluppo o non avvenire affatto, consentendo alle mu tazioni genetiche di passare dal genitore alla sua progenie. Questo aumenterebbe la va riabilità genetica e potenzialmente servireb be anche come sistema di “pre-screening” per le mutazioni vantaggiose per la specie».

I coralli possono riprodursi sia per via asessuata (attraverso la gemmazione e la frammentazione delle colonie) sia per via sessuata, producendo cellule uovo e sperma tozoi. I coralli della specie Elkhorn (Acro pora palmata), oggetto dello studio, rila sciano le loro cellule uovo e gli spermatozoi nell’acqua e le uova di una colonia sono solitamente fecondate dallo sperma di una colonia vicina. Tuttavia, il team di ricerca ha scoperto che alcune uova di corallo Elkhorn si sono sviluppate in una prole vitale senza il coinvolgimento di un secondo corallo, una sorta di riproduzione sessuale monoparen tale (con un solo genitore). “Questa ripro duzione monoparentale ci ha permesso di cercare più facilmente potenziali mutazioni somatiche presenti nel corallo genitore e di rintracciarle nella prole, semplificando il numero totale di possibilità genetiche che potrebbero verificarsi nei discendenti”, ha detto Sheila Kitchen, coautrice dello studio e ricercatrice alla Penn State.

Il team di ricerca ha studiato il genotipo dei campioni provenienti da dieci diverse località di una grande colonia di corallo Elkhorn che aveva prodotto una prole mo noparentale, e campioni prove nienti da cinque colonie vicine. I risultati hanno dimostrato che tutte e sei le colonie di corallo apparte nevano allo stesso genotipo originale, erano cioè cloni derivati da un’unica colonia originale attraverso la riproduzio ne asessuata e la frammentazione della colonia. Per tanto, qualsia

si variazione genetica riscontrata in questi coralli sarebbe stata il risultato di una mu tazione somatica. Dall’analisi dei campioni sono risultate un totale di 268 mutazioni so matiche, con ogni campione di corallo che presentava da 2 a 149 mutazioni somatiche.

Il team ha poi esaminato la progenie mo noparentale della colonia di coralli Elkhorn e ha scoperto che il 50% delle mutazioni so matiche era stato ereditato.

Non si conosce ancora il meccanismo esatto con cui le mutazioni somatiche si dif fondono nelle cellule germinali dei coralli, ma i ricercatori sospettano che il differen ziamento tra cellule corporee e germinali nei coralli possa essere incompleto e che alcune cellule corporee possano mantenere la capa cità di formare cellule germinali, permetten do alle mutazioni somatiche di diffondersi nella prole. «Poiché i coralli crescono come colonie di polipi geneticamente identici, le mutazioni somatiche che si verificano in un polipo di corallo possono essere espo ste all’ambiente e vagliate per la loro utilità senza necessariamente influenzare l’intera colonia», ha detto Baums. «Pertanto, le cel lule con mutazioni potenzialmente dannose potrebbero morire, mentre quelle con muta zioni potenzialmente vantaggiose potrebbe ro prosperare e diffondersi man mano che la colonia di coralli continua a crescere. Se queste mutazioni – conclude Baums - pos sono essere trasmesse alla prole, come abbiamo dimostrato, significa che i coralli hanno uno stru mento in più che potrebbe accelerare il loro adatta mento ai cambiamenti climatici». (S. B.)

39 GdB | Nov/dic 2022 Ambiente
© Nsilvae/shutterstock.com

QUANTI ALBERI SERVONO PER COMPENSARE UN SECONDO DI RICERCA SUL WEB?

Internet è il più grande produttore di CO2 del pianeta dopo Stati Uniti, Cina e India Con il progetto CO2GLE possiamo visualizzare quanta ne produce la nostra navigazione online

Navigare sul web alla ricerca di notizie o di risposte ai più sva riati quesiti è diventata per mol te persone un’azione quotidia na: sedentario e innocuo questo comportamento apparentemente non sembra grado di provocare grandi effetti sull’ambien te, ma è davvero così? Pare proprio di no. Il web, infatti, risulta essere il più grande pro duttore di CO2 del pianeta dopo Stati Uniti, Cina e India. Joana Moll, artista e ricerca trice che vive tra Barcellona e Berlino, ha voluto calcolare in particolare quanta energia consuma Google, il gigante della ricerca. Dal suo lavoro è nato il progetto CO2GLE (http://www.ja navirgin.com/CO2/) che consente di visualizzare in ogni momento la quan tità di CO2 emessa durante le nostre sessioni online.

L’idea di CO2GLE è nata da una do manda che Moll si è posta nel 2013 sul co sto ambientale dell’utilizzo di internet: «Ok – si è detta la studiosa - non può essere tutto gratis. Ci deve essere un costo dietro». La ri cercatrice sostiene che circa dieci anni fa c’e ra l’idea che il regno digitale fosse sacro, una specie di nuvola, una metafora che all’epoca era molto presente nell’immaginario sociale. L’idea che tutto potesse essere online, senza più carta, sostenibile per sempre.

«La maggior parte delle persone che co noscevo - racconta Moll in un’intervista all’organizzazione artistica Abandon Normal Devices - non si poneva questa domanda nel

2013/2014. Credo che ora ci sia una maggiore consapevolezza generale, ma non all’epoca. Quindi – conclude Moll - il primo progetto che è nato dall’esigenza di rendere visibile questa domanda nell’immaginario sociale è stato CO2GLE, un proget to molto semplice».

40 GdB | Nov/dic 2022 Ambiente

CO2GLE esegue i suoi calcoli utilizzando dati pubblici del 2015: innanzitutto, si stima che la trasmissione di 1 GB di informazioni richieda 13 kWh, pari a 7,07 kg di CO2. Poi ché Google.com pesa 2 MB ed elabora circa 47.000 richieste al secondo, la pagina emette 500 chilogrammi di CO2 al secondo. Secondo la ricercatrice misurare la CO2 in grammi e tonnellate è però un concetto troppo astratto. «I numeri ti dicono un sac co di cose – continua Moll - ma non riesci a capire cosa significhino davvero ed è allora che è nato Deforest. Sentivo che avevo biso gno di comunicare questi risultati, o di farlo per me stessa, rendendoli più comprensibili. È stato davvero un esperimento, per trovare un altro modo di comunicare questo pro blema, perché è drammatico come il nostro mondo online, soprattutto quando si tratta di dati, sia invisibile».

L’autrice ha considerato che il modo migliore per compren dere il reale costo delle in dagini sul web era porsi questa domanda: quanti alberi servono per com pensare un secondo di ricerca su Google? De forest mira proprio a

rendere visibile a tutti gli utilizzatori del web il costo ambientale dell’uso di Google: il pro getto è un’opera in rete che mostra il numero di alberi necessari per assorbire la quantità di CO2 generata dalle visite globali a google.com ogni secondo. Poiché in media, un albero può assorbire 21,77 kg di CO2 all’anno, per con trastare la quantità di emissioni di CO2 de rivanti dalle visite globali a google.com ogni secondo, avremmo bisogno di una quantità approssimativa di 23 alberi al secondo. La pa gina web mostra l’impatto della CO2 in una linea di alberi che continua a crescere all’in finito. Sappiamo bene però che purtroppo gli alberi non sono infiniti.

L’obiettivo del progetto Deforest è sensi bilizzare e attivare comportamenti legati alle connessioni invisibili tra azioni e conseguenze quando si utilizzano le tecnologie di comu nicazione digitale. La questione è ancora più importante se pensiamo che secondo le ultime previsioni di We Are Social più di due terzi della popolazione mondiale sarà connessa a internet entro la fine del 2023. Dall’ultimo report della stessa agenzia è merso che il nu mero di utenti internet è più che raddoppia to negli ultimi dieci anni, da 2,18 miliardi nel 2012 a 4,95 miliardi a Gennaio 2022. Ancora più veloce è stata la crescita degli utilizzatori delle piattaforme social, più che triplicati nel lo stesso periodo, passando da 1,48 miliardi a 4,62 miliardi.

Gli utenti social attuali corrispondono al 58,4% della popolazione mondiale. Secondo Joana Moll il problema è che l’uomo sta di ventando sempre più simile a una macchina e dipendente dai dati e la sua connessione con il suo habitat naturale sta rapidamente svanendo. Cambiare le nostre abitu dini e il nostro rapporto con il mondo concreto è complicato se non siamo in grado di vedere l’impatto effettivo delle nostre azioni. Ecco quindi che l’arte in rete diventa uno strumento utile a que sto scopo perché è in grado di far funzionare meccanismi che possono stimolare e riappro priarsi della soggettività, un proces so essenziale nella generazione di un pensiero critico sulla vera natura della tecnologia e nell’immaginare modelli alternativi che possano rispondere in modo coerente alle nostre condizioni ambientali e umane. (S. B.)

41 GdB | Nov/dic 2022 Ambiente
© Net Vector/shutterstock.com

«N

unc est bibendum» (ora si deve bere). Per chi ha qualche ricordo liceale quelle appena citate sono le parole iniziali di una nota ode del poeta lucano Orazio (I, 37), con le quali esprimeva l’esultanza sua e del popolo romano per la morte di Cleopa tra e la fine del pericolo che rappresentava per Roma. In Basilicata si potrà ancora brindare con gioia, perché è nata la prima mappa georeferen ziata e interattiva dei vigneti per la salvaguardia e la promozione del settore vitivinicolo potenti no e materano. L’opera ha visto la luce grazie al progetto PRO.S.IT (PROduttività e Sostenibilità in vITi-vinicoltura), finanziato con 260 mila euro dalla Regione e portato avanti da molti enti tra cui il “Consorzio Qui Vulture”, quello di “Tutela Vino Aglianico del Vulture DOC e DOCG supe riore” e l’Università degli Studi della Basilicata, in collaborazione con Enea.

Su una piattaforma Web, creata dall’Istitu to di Metodologie per l’Analisi Ambientale del Cnr, gli operatori del settore potranno inserire gli estremi sulle singole particelle catastali dei vigneti con dati geospaziali (quota, pendenza, esposizio ne), biofisici (attività fotosintetica, densità di bio massa e stato di salute delle piante) e se ci siano insetti dannosi. «Con questo progetto - spiega

Ferdinando Baldacchino, entomologo Enea del Laboratorio Bioprodotti e bioprocessi presso il Centro Ricerche Trisaia (Matera) - abbiamo rea lizzato, per le aziende e i consorzi della viticoltura lucana, uno strumento dinamico, d’immediata e facile fruizione da computer e smartphone, ba sato su tecnologie open source che, attraverso la condivisione dei dati sito-specifici, crea le basi per il monitoraggio partecipativo di Lobesia botrana. È un insetto diffuso in tutta Italia che, nutrendosi degli acini dell’uva, causa gravi danni alla vendemmia. La condivisione sulla piattafor ma dei dati di cattura delle trappole da parte dei viticoltori consentirà di ottenere, in tempo rea le, informazioni sull’inizio e sull’andamento dei voli di questo insetto in un areale più ampio del proprio vigneto; questo permetterà agli impren ditori agricoli il corretto posizionamento dell’in tervento insetticida: da oggi in poi, le aziende lucane avranno a disposizione uno strumento innovativo per difendere, in modo sempre più efficace e tempestivo, i propri vigneti e preser vare la produzione di vino». Ai produttori viti coli lucani è stato distribuito un questionario al fine di comprendere le tecniche per contrastare la citata tignoletta della vite (Lobesia botrana) insieme al livello di gradimento conseguito nel controllo. L’indagine ha coinvolto tutti i soggetti,

42 GdB | Nov/dic 2022
Ambiente

individui od organizzazioni, attivamente coinvol ti, tra aziende private e forme associative, per la maggior parte nell’area viticola del Vulture, in provincia di Potenza. Le domande intendevano esaminare in particolare: la tipologia di gestione (difesa integrata obbligatoria, produzione inte grata volontaria e agricoltura biologica), i mezzi di lotta impiegati (insetticidi chimici, biologici e confusione sessuale), le basi per programmare gli interventi (esperienza personale, indicazione di tecnici, monitoraggio dei voli, campionamento delle uova, bollettini fitosanitari e modelli previ sionali) e il soddisfacimento per gli esiti ottenuti.

Dall’analisi delle risposte spicca, ad esempio, che il controllo delle infestazioni viene condotto con “tattiche” miste: insetticidi chimici nel 75% dei casi, frequentemente anche insieme alla con fusione sessuale adottata sul 50% dei vigneti indagati, mentre soltanto nel 25% si sono scelti insetticidi di origine biologica. «Questi risultati - sottolinea Baldacchino - descrivono una viti coltura dinamica e attenta alla sostenibilità, ma ancora incerta e in evoluzione nell’utilizzo dei mezzi tecnologici a disposizione, dopo l’abban dono degli esteri fosforici. Inoltre, è emerso chia ramente il ricorso contemporaneo, da parte degli imprenditori agricoli, a più fonti di informazione,

anche extra aziendali come i bollettini fitosanitari (il 75% del campione). Ecco, quindi, la necessità di mettere a punto uno strumento tecnologico, informativo, partecipativo e interattivo, come la piattaforma web-GIS di PRO.S.IT’, che rappre senta il supporto ideale al primo esempio di citi zen science per la tutela del patrimonio viticolo della nostra Regione».

Chi ha partecipato al progetto ha studiato e ottimizzato metodologie idonee a dare informa zioni continuamente sulla crescita del vigneto, sul sequestro di anidride carbonica da parte della pianta, sullo stato idrico e sulla scelta dei por tinnesti per la vite, non tralasciando l’aiuto alla biodiversità come, per esempio, l’inerbimento spontaneo invernale-primaverile. Valutando il processo di vinificazione e la riduzione del rame nelle uve da agricoltura biologica, tra i maggiori successi c’è stata l’opportunità di dar vita a una banca di lieviti vinari locali isolati in diverse aree e varietà della Regione. Le peculiarità enologiche dei diversi ceppi sono state sintetizzate in una scheda con l’indicazione del comportamento per parametri enologici contraddistinguenti, quali la prestazione fermentativa, il profilo aromatico o la capacità di portare avanti la fermentazione con dosi basse di solfiti e di ridurre il rame.

MAPPA GEOREFERENZIATA E INTERATTIVÀ DEI VIGNETI LUCANI

La mappa delle vigne della Basilicata è stata messa a punto grazie ad un progetto finanziato con 260mila euro dalla Regione di Gianpaolo Palazzo

43 GdB | Nov/dic 2022
Ambiente
44 GdB | Nov/dic 2022 Ambiente
Iakhniuk/shutterstock.com Un nuovo approccio al confezionamento estende la data di scadenza della pasta fresca refrigerata UN PROBIOTICO PER ALLUNGARE LA VITA
© Andrei

Nel 1993 Massimo Lopez, condan nato a morte, esprimeva un ultimo desiderio: fare una telefonata. Una voglia che continuò a esprimere nei successivi undici soggetti realizzati da Armando Testa per “Sip”, con lo slogan “Una telefonata allunga la vita”. Quella frase fu un vero e proprio tormentone, entrando nel linguaggio e nel cuore di tutti gli italiani, così come la pa sta. Devono non averlo dimenticato i ricercatori dell’Istituto di biomembrane, bioenergetica e biotecnologie molecolari (Ibiom) del Consiglio nazionale delle ricerche e del Dipartimento di bioscienze, biotecnologie e ambiente oltre a quel lo di scienze del suolo, della pianta e degli alimen ti dell’Università degli Studi di Bari Aldo Moro insieme a Food Safety Lab s.r.l. di Corato (Bari). Con un pastificio pugliese di Altamura hanno svi luppato un metodo clean-label (etichetta pulita) per raggiungere l’obiettivo di allungare la conser vazione della pasta fresca. Essa, a causa dell’acqua trattenuta, si segnala come alterabile ed esposta all’attacco microbico, una delle ragioni più fre quenti di trasformazione per il prodotto.

La maggior parte di quella distribuita com mercialmente è prodotta attraverso un processo industriale che include anche il trattamento ter mico del prodotto. Può essere venduta in imbal laggi preconfezionati adoperando film plastici con effetto barriera, per conservare un’atmosfe ra protettiva, normalmente costituita da azoto e anidride carbonica, intorno alla pastasciutta. L’ot temperanza delle norme igieniche nelle azioni di trasformazione e lavorazione, l’adatto confezio namento con sostanze ad efficace effetto barrie ra, la composizione dell’atmosfera nella quale la pasta finisce nelle confezioni e il mantenimento della catena del freddo durante il trasporto e l’at tesa sugli scaffali sono fattori importantissimi per assicurare un prodotto sicuro e con prolungata scadenza, schivando o limitando le contaminazio ni o la riproduzione di microrganismi capaci di resistere ai trattamenti. In tale circostanza, anche l’impiego di antimicrobici può aiutare a prevenire le alterazioni microbiche e la possibile esistenza di patogeni nel prodotto finito, nonostante i con sumatori preferiscano qualcosa di naturale, senza ingredienti artificiali o sintetici.

Le innovazioni sono state avviate dopo aver valutato il processo utilizzato dall’azienda. Ciò ha consentito d’intervenire nella sua ottimizzazione, tramite la modifica del confezionamento in atmo sfera modificata (MAP) sia stando attenti ai film

In Italia su dati IstatColdiretti si producono 3,6 milioni di tonnellate di pasta, pari a circa un quarto di tutta quella mondiale, con duecen tomila aziende agricole italiane impegnate a fornire grano duro di qualità ad una filiera che conta 360 imprese e circa 7500 addetti, per un valore complessivo di circa cinque miliardi di euro. Nel corso del tempo sono aumentati esponenzialmente anche i formati della pasta che sono ormai arrivati a quota trecento, mentre alle varietà tradizionali si sono aggiunte quelle fatte con farina integrale, il gluten free e quelle con legumi.

plastici usati sia alla proporzione dei gas, e l’im piego di una miscela di microrganismi probioti ci bioprotettivi commerciali, portando al limite massimo l’efficacia delle novità portate avanti.

I ricercatori hanno testato i nuovi protocolli su un tipo di pasta ritorta corta e sottile le “trofie”. Una parte del campione è stata prodotta e confe zionata secondo le attuali consuetudini. Un secon do, al contrario, è stato prodotto tradizionalmen te, ma conservato nella condizione sperimentale di MAP. Ad un terzo campione è stata aggiunta la miscela di microrganismi probiotici per poi essere conservato nella confezione sperimentale. I ricercatori hanno esaminato ogni cosa fino alla data di scadenza ed oltre per monitorare la com parsa dell’alterazione. Tutta quello sottoposto ad esperimenti è stata testato con l’applicazione di un approccio-multi-omico basato sulla combi nazione delle tecnologie analitiche convenzionali (analisi chimica e analisi microbiologica classica) con tecnologie altamente innovative come l’analisi metagenomica delle comunità batteriche e fungi ne, l’analisi proteomica e la spettrometria di massa per descrivere composti organici volatili. L’integra zione dei dati ha mostrato l’efficacia dei protocolli sperimentali testati, generando un prolungamento di trenta giorni nella durata della conservabilità.

«Questo lavoro - hanno commentato Bruno Fosso (Dbba, Università degli studi di Bari) e Ma ria Calasso (Disspa, Università degli studi di Bari)dimostra come le innovazioni in campo bio-mole colare possano essere estese non solo alla medicina di precisione ma anche ad applicazioni industriali che impattano sulla vita di ogni giorno». Francesca De Leo, ricercatrice del Cnr-Ibiom ha aggiunto: «I risultati dimostrano che la modifica alle condizioni di MAP, insieme all’utilizzo di colture bioprotet tive probiotiche, ha agito in modo sinergico per controllare il deterioramento microbico della pa sta fresca durante la conservazione refrigerata». La nuova tecnica potrebbe essere introdotta a livello industriale, aggiungendo trenta giorni di durata a scaffale rispetto alle tecniche convenzionali. «Dal punto di vista del consumatore, - conclude De Leo - il vantaggio di questo prodotto è la maggior dura ta che si accompagna alla facilità di conservazione pur mantenendo le caratteristiche organolettiche tipiche. Questo può essere particolarmente im portante considerando che i consumatori tendono sempre più a ridurre la frequenza dei loro acquisti di cibo, e di conseguenza a conservare i prodotti il più possibile dopo il loro acquisto e prima della loro consumazione». (G. P.).

45 GdB | Nov/dic 2022 Ambiente
©

Nel film “Camere da letto” (1997), diretto da Simona Izzo, Ricky To gnazzi, che interpreta Fabrizio viene ospitato a casa da Sandro (Giobbe Covatta) e aprendo il frigorifero, desolatamente vuoto, trova dentro solo delle pile. L’amico tirchio gli risponde «Col freddo si ricaricano». Senza voler arrivare a questi eccessi, l’Enea ha preparato il vademecum “Indicazioni essenziali per una corretta impostazione degli im pianti di riscaldamento a gas” che vuole facilitare le misure di contenimento nei consumi di meta no per il riscaldamento domestico sulla base del decreto del Ministero della Transizione Ecologi ca (n. 383 del 6 ottobre 2022). «La prima parte del manuale - spiega Ilaria Bertini, direttrice del dipartimento Enea di Efficienza Energetica - ri chiama le prescrizioni legislative dettate dal Mi nistero e illustra al cittadino i principali sistemi di gestione degli impianti di riscaldamento di tipo domestico. La seconda, invece, fornisce indica zioni pratiche per la regolazione degli impianti nelle abitazioni, in base ai dispositivi di regolazio ne e controllo installati»

Nell’agile guida che gli amministratori di condominio hanno distribuito ai condòmini, si potranno leggere le istruzioni operative su accen sione e spegnimento degli impianti a inizio e fine stagione di riscaldamento, sulla regolazione della temperatura dell’acqua calda sanitaria e di man data degli impianti per mantenere all’interno del le abitazioni un massimo di 19°C, salvo eccezio ni. Il decreto per la stagione invernale 2022-2023 ha stabilito nuovi limiti temporali per gli impianti termici (un’ora in meno di accensione al giorno, stagione ridotta) oltre a 17°C + 2°C di tolleranza

per gli edifici adibiti ad attività industriali, arti gianali e assimilabili; 19°C (+ 2°C) per tutti gli altri edifici, compresi quelli residenziali. I sistemi di riscaldamento che bruciano gas naturale, ad esclusione delle utenze più sensibili come ospe dali, case di cura per anziani, scuole, asili nido ecc. dovranno rispettare le recenti direttive. Enea ha calcolato che se almeno l’80% delle famiglie italiane facesse il proprio dovere, potremmo ave re un risparmio nazionale di 2,7 miliardi di mc di metano e circa 180 euro mediamente in meno all’anno in bolletta (il valore è stato calcolato sui prezzi Arera del primo trimestre 2022).

Tra i corretti comportamenti quotidiani sono descritti le modalità e i tempi per assicurare il ri cambio d’aria negli ambienti climatizzati. «Rin novare l’aria che respiriamo permette di eliminare batteri e sostanze inquinanti. Tuttavia, per cam biare l’aria in un’abitazione - sottolinea la Berti ni - è sufficiente mantenere aperte le finestre per pochi minuti, più volte al giorno, preferibilmente durante le ore più calde e quando il riscaldamen to non è in funzione». È essenziale, inoltre, man tenere il giusto livello di umidità nell’ambiente, magari installando un termo-igrometro: «al di sotto del 40% di umidità in casa - conclude la direttrice - il clima diventa troppo secco e batteri e i virus trovano un ambiente favorevole alla pro lificazione, favorendo malattie respiratorie. Al di sopra del 70%, invece, si forma condensa sulle parti fredde dell’edificio, come le pareti perime trali e le finestre, che può portare alla formazione di muffe e conseguenti allergie».

Nel decalogo riassuntivo dell’Enea al primo posto c’è la manutenzione, perché un impianto consuma e inquina meno se viene calibrato cor

BOLLETTE PIÙ LEGGERE? SI PUÒ FARE...

46 GdB | Nov/dic 2022 Ambiente
Enea
per misure taglia-consumi
Vademecum
con indicazioni

rettamente, è pulito e senza incrostazioni di calca re. Bastano, poi, 19 gradi per avere il comfort ne cessario in appartamento. Ogni punto in meno fa risparmiare fino al 10% sui consumi di combusti bile, senza dimenticare che possiamo avere 1-2°C in più dopo che una persona è rimasta per circa trenta minuti all’interno di una stanza. Se i tempi di accensione hanno “tagliato” 60 minuti, occor re controllare in quale delle sei zone climatiche viviamo per rispettare le prescrizioni governative.

Proseguendo nell’ottica del risparmio, anche un semplice foglio di carta stagnola contribuisce a ridurre le dispersioni verso l’esterno, così come persiane, tapparelle o anche tende pesanti limi tano le dispersioni di calore verso l’esterno. At tenzione, tuttavia, sia ai tendaggi sia ai mobili davanti ai termosifoni, perché ostacolano la diffusione del caldo e sono fonti di sprechi. Per rinnovare l’aria in una stanza possono andar bene una manciata di minuti, mentre la sciare le finestre aperte troppo a lungo non è consi gliabile. Gli sta

bili devono essere affidati a tecnici qualificati, capaci d’intervenire prontamente e di valutare l’efficienza dell’impianto e lo stato dell’isola mento termico per pareti e finestre. In tal modo vedremo abbattersi i consumi fino al 40%. Un’altra mano arriva dalle valvole termostati che. Sostituire, infine, il vecchio impianto con uno a condensazione o con una pompa di calo re ad alta efficienza, adottando cronotermosta ti, sensori di presenza e regolatori elettronici a distanza aiuta il nostro portafoglio e l’Ambiente con minori emissio ni di CO2. (G. P.).

47 GdB | Nov/dic 2022 Ambiente
© Pixel-Shot/shutterstock.com

FOTOSINTESI ARTIFICIALE PER STOCCARE ENERGIA SOLARE

lettrolisi come metodo di stoccaggio energetico. L’energia della radiazione solare viene usata per promuovere la reazione chimica di elettrolisi; una volta compiuta la reazione quell’ener gia è immagazzinata nei nuovi legami chimici che si sono creati. Quando, in un secondo momento si voglia estrar re energia, basta svolgere la reazione chimica al contrario: i legami vengo no spezzati e rilasciano l’energia che torna a essere libera e utilizzabile, per esempio, in una cella a combustibile, dove reagiscono idrogeno e ossigeno, riformando acqua e producendo una corrente elettrica.

Simone Piccinin, ricercatore del Cnr-Iom cofirmatario dello studio, ha spiegato: «Il processo è simile a quello della fotosintesi nelle piante. Le piante prendono dall’ambiente CO2 e acqua, e usano la luce del sole per produrre sostanze organiche, immagazzinando energia sotto forma di legami chimici presenti nei carboidrati che costitui scono la pianta. Se noi poi la brucia mo, quello che viene liberato da questo processo è esattamente CO2 e acqua, i reagenti iniziali, e calore».

Lo studio ha riguardato, in partico lare, un materiale molto promettente per l’impiego in questo tipo di proces si, l’ematite, un ossido di ferro econo mico e stabile.

Un lavoro di ricerca, con dotto da ricercatori dell’I stituto officina dei ma teriali del Cnr di Trieste in collaborazione con gli studiosi del Fritz Haber Institute del la Max Planck Society di Berlino, ha indagato su alcuni aspetti fondamen tali di una tecnologia per immagazzi nare in combustibili l’energia ricavata da fonti rinnovabili, consentendone lo stoccaggio e il successivo utilizzo. La prima applicazione riguarda l’uso dell’energia solare per produrre idro geno dall’acqua.

La ricerca ha familiarità con lo stu dio dettagliato di alcune fasi del pro cesso di elettrolisi fotocatalitica: è un processo elettrochimico nel quale si utilizza la luce del sole per scindere l’acqua nei suoi costituenti, cioè ossi geno ed idrogeno.

Il processo di elettrolisi è di natura elettrochimica e si sviluppa in due fasi: da una parte si produce l’idrogeno e dall’altra l’ossigeno; questa seconda fase è stata quella che i ricercatori hanno studiato. Si tratta della fase più critica del processo, in grado di osta colare l’impiego su larga scala dell’e

«Si tratta di un materiale fotocata lizzatore, cioè capace di assorbire la luce e di promuovere e accelerare l’os sidazione dell’acqua. Quando la luce colpisce questo materiale, in superficie si accumula della carica elettrica, la cui quantità è in relazione cubica con la ve locità con cui si verifica la reazione di ossidazione dell’acqua: raddoppiando, cioè la concentrazione della carica, la velocità con cui avviene la reazione si moltiplica per otto», ha aggiunto il ri cercatore. «Questo modello ora ci con sente non solo di predire la velocità di reazione in modo da ritrovare il risulta to sperimentale, ma anche di spiegare la dipendenza della velocità di reazione dall’accumulo di carica in superficie», ha concluso Piccinin.

48 GdB | Nov/dic 2022
La ricerca, condotto da ricercatori dell’Istituto officina dei materiali del Cnr di Trieste, è stata pubblicata sulla rivista Nature Catalysis Innovazione
di Pasquale Santilio

La combinazione di tecniche sperimentali e modellazione molecolare computazionale ha rivelato, che le albumine dell’uovo possono essere trasformate in un aerogel di carbonio nanoporoso ultraleggero utilizzabile per la produzione di materiali effi cienti nella purificazione dell’acqua. Questo è quanto ha dimostrato uno studio condotto da un gruppo di ri cercatori della Princeton University, Aramco Research Center Houston, dell’Istituto di chimica dei composti organomettalici e Istituto di nano scienze del Cnr, della Scuola Norma le Superiore, Università di Trento e Queen Mary University of London, guidati da Craig B. Arnold.

Gli scienziati sono riusciti a pro durre un nuovo tipo di struttura co stituita da fogli di carbonio grafitico bidimensionale legati con continuità a nanofibre di carbonio. La struttu ra presenta diversi livelli di porosità organizzati gerarchicamente, con una area superficiale elevata e densità molto bassa. Attualmente, le tecni che per produrre strutture di carbo nio con pori di forma e dimensioni regolabili usano degli stampi (detti template), una sorta di “impalcatu re” che guidano la formazione della struttura. Questi stampi devono esse re però successivamente rimossi con procedure complicate. Le proteine, invece, offrono un’alternativa inte ressante per progettare e produrre materiali porosi complessi grazie alla loro struttura intrinsecamente gerar chica e auto- organizzata.

Hanno spiegato i ricercatori: «Quando le proteine dell’albume vengono pirolizzate a 900 gradi, le strutture elicoidali ed a forma di fo glietto si trasformano nei componen ti grafenici e fibrosi dell’aerogel. I pori di dimensioni maggiori si forma no a causa dei gas rilasciati durante il processo, mentre quelli su scala na nometrica nascono da vari difetti del reticolo dovuti al desorbimento dei gruppi funzionali proteici».

AEROGEL ULTRALEGGERI DALL’ALBUME

DELL’UOVO

La ricerca troverà applicazione nella produzione di materiali per la purificazione dell’acqua

Il contributo congiunto delle stu diose Susanna Monti del Cnr-Iccom e Valentina Tozzini del Cnr- Nano ha chiarito il meccanismo molecolare di formazione e la trasformazione delle strutture proteiche nelle architetture finali. Le simulazioni di dinamica mo lecolare reattiva, combinate con gli esperimenti, hanno rivelato le diverse fasi dei processi di trasformazione a li vello atomico e mostrato come questi aerogel siano in grado di intrappolare efficacemente gli ioni grazie alla presen za di difetti derivanti dalla loro origine biologica. La sostenibilità e la biocom patibilità intrinseca di questi materiali li

rende particolarmente interessanti per le applicazioni ecosostenibili.

«Gli aerogel messi a punto sono in grado di rimuovere oltre il 98% delle impurità ioniche e il 99% del la contaminazione da nano/micro plastica dall’acqua di mare», hanno spiegato i ricercatori. Il basso costo, la pronta disponibilità, la stabilità meccanica e la robustezza di questi aerogel sono fattori potenzialmen te adatti anche ad altre tipologie di impiego quali: conversione ed accu mulo di energia, tecnologie di sepa razione di gas, recupero ambientale, sistemi catalitici. (P. S.).

49 GdB | Nov/dic 2022
Innovazione
© Todsaporn Wattanasupinyo/shutterstock.com

ultimi anni, grazie ad alcune peculiari tà, in particolare il basso costo, l’eleva to assorbimento della luce visibile, ed altre proprietà legate alla produzione e al trasporto della carica elettrica.

La fotoluminescenza è una delle tecniche di caratterizzazione più usate per le perovskiti e la loro proprietà di emettere luce viene spesso correlata con le prestazioni della cella solare a perovskite. Tuttavia, la grande varia bilità nella morfologia delle perovski ti, la bassa riproducibilità nel processo di sintesi e la mancanza di sistematici tà in molti studi di caratterizzazione, hanno finora impedito di ottenere una correlazione chiara tra la fotolumine scenza ed efficienza di conversione della cella solare a perovskite.

FOTOLUMINESCENZA NELLE CELLE SOLARI A PEROVSKITE

La perovskite è un minerale costituito da titanato di cal cio. Il nome deriva dal gran de collezionista di minerali russo Perovskij e venne at tribuito a cristalli opachi di forma cu bica trovati dal mineralogista tedesco Gustav Rose nel 1839 ad Achmato vskaja, nei monti Urali russi. Questo minerale è un titanato di calcio. Da il nome al gruppo della perovskite, che comprende molte perovskiti sinteti che: molte di queste sono pericolose per l’uomo e l’ambiente. La struttura cristallina degli ossidi del gruppo del

la perovskite è una griglia di piccoli cationi a forte carica, ognuno dei qua li è connesso a sei atomi di ossigeno. La struttura di questa griglia è tale da lasciare delle “cavità” equispaziate lungo la superficie cristallografica di crescita, le quali possono essere com pletamente o parzialmente occupate da cationi a grande raggio ionico in funzione delle abbondanze relative di questi elementi nell’ambiente minero genetico di formazione.

L’utilizzo delle perovskiti come materiale attivo nelle celle solari ha subito un notevole incremento negli

In un nuovo studio, i ricercatori dell’Istituto per la microelettroni ca e i microsistemi e dell’Istituto di struttura della materia, entrambi del Consiglio nazionale delle Ricerche, in collaborazione con il Chose (Polo So lare Organico della Regione Lazio), hanno utilizzato un approccio siste matico per studiare tale correlazio ne, considerando un numero elevato di celle con efficienze che vanno dal 5.63% al 21.5%, realizzate a partire da diversi tipi di perovskite e con di versi processi di fabbricazione. Gli autori sviluppano un modello sem plice che permette di stimare alcune proprietà di trasporto della carica elettrica nella cella solare e dimostra no come la diminuzione della fotolu minescenza misurata in condizioni di circuito aperto e chiuso possa essere utilizzata in maniera diretta per va lutare l’efficienza di una cella solare con precisione e con un elevato livel lo di generalità.

Questo tipo di misure è semplice e necessita di una strumentazione economica e compatta, che può esse re facilmente implementata sia nella produzione delle celle solari su larga scala, sia nei piccoli laboratori di ri cerca e sviluppo, fornendo una stima rapida e a basso costo dell’efficienza della cella prodotta. (P. S.).

50 GdB | Nov/dic 2022
Lo studio è stato pubblicato sulla rivista Solar RRL ed esamina l’utilizzo del minerale come materiale attivo nelle celle solari Innovazione
© vvoe/shutterstock.com

Irisultati del progetto Arch2020, finanziato dal pro gramma Horizon 2020, coor dinato dal Frauhofer Institute e realizzato, per la parte italia na da Enea, Ingv, Comune e Universi tà di Camerino, hanno prodotto sen sori innovativi per il monitoraggio del cambiamento climatico e degli eventi estremi, reti sismiche per registrare in tempo reale terremoti anche di bassa magnitudo e cruscotti informativi di gitali per informare cittadini e PA e rafforzare la resilienza delle città.

Sonia Giovinazzi, ricercatrice Enea del laboratorio di Analisi e protezione delle infrastrutture critiche e referente dell’Agenzia nel progetto, ha dichiara to:” Nell’ambito del progetto abbiamo colto l’opportunità della transizione digitale di PA ed enti locali per co-cre are piattaforme di analisi/intelligence e servizi basati sui dati. In questo modo abbiamo rafforzato la capacità delle PA, dei gestori delle aree storiche e delle comunità locali di conoscere, va lutare e rispondere agli eventi climatici estremi e ad altri pericoli naturali e di costruire un atteggiamento condiviso e proattivo di resilienza per mitigare gli impatti indotti da tali pericolosità, evi tando conseguenze estreme e disastri ed aumentando la consapevolezza nei cittadini”.

Pratici e di facile utilizzo, i cruscot ti digitali forniscono in tempo reale l’andamento di dati e indicatori chia ve di prestazione, come ad esempio, la pericolosità del territorio, la vulne rabilità del costruito, i valori tangibili e intangibili di beni monumentali e opere d’arte delle aree storiche, con sentendo di passare dal monitoraggio all’azione con decisioni informate e consapevoli su strategie di prevenzio ne e mitigazione, gestione dei rischi e delle emergenze e sulla ricostruzione post disastro resiliente.

Maria Luisa Villani, ricercatrice Enea del Laboratorio di Analisi e Protezione delle infrastrutture Criti che, ha evidenziato: «Per la città di Camerino l’Enea ha sviluppato dei

EVENTI ESTREMI: ARRIVANO I SENSORI INNOVATIVI

Anche cruscotti digitali e reti sismiche per monitorare terremoti e cambiamento climatico

cruscotti, o dashboard, per suppor tare la pianificazione degli interventi strutturali degli edifici ipotizzando possibili terremoti futuri di diver sa intensità e gli scenari di impat to che potrebbero risultare prima e dopo l’implementazione di strategie di resilienza. I cruscotti consentono alle Pubbliche Amministrazioni e alla popolazione di apprezzare i be nefici che tali interventi potrebbero portare nell’evitare danni agli edifici, conseguenze sulle popolazioni e nel preservare la funzionalità, le tradizio ni e le opere d’arte dei centri storici,

di valore inestimabile ma estrema mente vulnerabili. I dati raccolti dai sensori Enea, Ingv e Unicam sono stati processati al fine di valutare degli indicatori di performance che potessero essere facilmente compresi dalle Pubbliche Amministrazioni per aumentare la loro consapevolezza sulla pericolosità e sulla vulnerabili tà dei territori e supportarle nell’in dividuare strategie necessarie a una ricostruzione resiliente. Per questo auspichiamo che divengano un mo dello pilota replicabile anche in altri contesti». (P. S.).

51 GdB | Nov/dic 2022
Innovazione
© Temka777/shutterstock.com

NEGOZIO OLIVETTI UN OCCHIO AL FUTURO SU PIAZZA SAN MARCO

C’è uno spicchio di piazza San Marco che guarda insieme al passato e al futuro. Sotto i portici delle Procuratie Vecchie, in una delle zone più classiche e rinomate di Venezia, si apre infatti un piccolo locale d’angolo che nel 1957 Adriano Oli vetti individuò come sede per allestire uno spazio di rappresentanza della sua azienda.

Il Negozio Olivetti, appunto, ideale ponte tra la tradizione e la storia che si possono respirare ovunque nel capoluogo veneto e la modernità e l’innovazione che, da sempre, sono i principi ispiratori dell’azienda di Ivrea. Missione perfettamente compiuta, perché quel locale di rappresentanza è di ventato a sua volta un’opera d’arte, forgia ta dalla mano sapiente di Carlo Scarpa, il geniale architetto e designer (nato nel 1906 e morto nel 1978) che con la sua opera ha segnato l’architettura veneziana del ‘900.

Il Negozio Olivetti risponde perfettamen te a quella che è stata definita «l’eleganza intelligente» di Scarpa, a cui Adriano Olivetti nel 1957 affidò la realizzazione di uno spazio che desse visibilità ai prodotti della sua azienda, soprattutto calcolatrici e macchine

52 GdB | Nov/dic 2022 Beni culturali
Autentica icona del ‘900, frutto dell’eleganza intelligente dell’architetto veneziano Carlo Scarpa di Rino Dazzo

da scrivere, in uno dei luoghi più conosciuti e frequentati al mondo: piazza San Marco. Riu scire a coniugare modernità e tradizione era im presa improba, visionaria, ma perfettamente rispondente sia al modo di pensare di Olivetti che dello stesso Scarpa. E infatti, pur essendo icona dell’architettura moderna e contemporanea, il Negozio si inserisce perfettamente nel tessuto urbano, nello spirito stesso di Venezia. Come? Attraverso l’utilizzo sapiente di materiali vene ziani doc, o comunque pienamente integrati con la realtà della città lagunare. Lo spazio buio e angusto che caratterizza va questo locale d’angolo si è trasformato in un trionfo di luce, in un esempio di sapiente riorganizzazione degli spazi, di abile valorizzazione di luoghi e oggetti. Il simbolo della tra sformazione operata da Scarpa è la bellissima scala centrale che sembra sospesa nel vuoto e che rappresenta un capolavoro di leggerezza, una sorta di ascesa e di elevazione della mente e dello spirito realizzata in marmo di Aurisina, materiale contraddistinto da grande compat tezza e resistenza, estratto nel Carso Triestino dal I secolo avanti Cristo e utilizzato a Venezia praticamente da sempre. Tipicamente veneziano è anche il vetro di Murano che caratterizza il pavimento, disegnato a imitazione dei tradi zionali mosaici e che, con i suoi colori, assicura vivacità e dinamismo a tutto l’ambiente.

Alle imbarcazioni che si muovono tra i canali e i canaletti della città e di tutta la Lagu na rimanda invece il teak africano dei ballatoi, mentre il cristallo molato caratterizza le vetrine, che con la loro trasparenza lasciano filtra re perfettamente la luce esterna, integrandosi alla perfezione con l’ambiente della piazza. Altro richiamo alla grande tradizione artistica veneziana è contenuto negli stucchi, perfettamente rivisitati in chiave moderna nell’ambito di un progetto di eccezionale portata culturale ed espressiva. La luce e l’acqua, altri elemen ti simbolo di Venezia, sono contenuti poi in quella che è l’opera d’arte iconica ospitata dal Negozio Olivetti: il «Nudo al sole» di Alberto Viani. Realizzata poco prima della sistemazione del locale, nel 1956, la scultura è collocata in un’ariosa sala posta proprio all’ingresso del Negozio, quasi a dare il benvenuto ai visitatori. L’elemento principale è rappresentato da una figura in bronzo dorato posta in bilico su una base realizzata in marmo nero belga, sulla qua le si muove un sottile velo d’acqua.

53 GdB | Nov/dic 2022 Beni culturali
© Annalisa Cama

Al piano superiore è posta invece l’esposi zione permanente delle storiche macchine da scrivere e dei calcolatori donati da Olivetti, racconto e testimonianza vivente dell’ingegno e della lungimiranza dell’imprenditore pie montese, figura chiave nella storia industriale ed economica dell’Italia nel secondo dopo guerra. Insomma, un viaggio tra epoche in un contesto che non distoglie l’attenzione, ma che anzi valorizza i prodotti esposti e messi a disposizione del pubblico. Soprattutto adesso che il Negozio Olivetti è stato rimesso a nuovo e riportato agli antichi splendori grazie al re stauro conservativo ultimato nel 2011 da As sicurazioni Generali, dietro sollecitazione del Fai, a cui poi è stata affidata la conservazione

e valorizzazione del locale stesso. Il Negozio, tra l’altro, è una delle tappe del Circuito Scar piano, il percorso che mette insieme gli edi fici storici di Venezia in cui è maggiormente evidente l’opera del grande architetto, che ha speso gran parte della sua attività proprio alla rifunzionalizzazione di costruzioni storiche o alla singolare fusione tra elementi moderni e contesti antichi. Un itinerario tra gli angoli più suggestivi della città lagunare e che compren de, oltre al Negozio Olivetti, l’Aula Baratto in Ca’ Foscari, il Palazzo Querini Stampalia sede dell’omonima Fondazione, la sede dell’Uni versità Iuav, la Fondazione Angelo Masieri e ancora il portale dell’ex convento di San Se bastiano e le Gallerie dell’Accademia.

54 GdB | Nov/dic 2022
culturali
Beni
Al piano superiore è posta invece l’esposizione permanente delle stori che macchine da scrivere e dei calcolatori donati da Olivetti, figura chiave nella storia industriale ed economica dell’Italia nel secondo dopoguerra. © Sergio Delle Vedove/shutterstock.com

Durante una campagna di scavo a San Casciano dei Bagni, in provincia di Sie na, sono state rinvenute 20 statue di bronzo in perfetto stato di conservazione oltre che 5mila monete in oro, argento e bronzo. I ri trovamenti verranno custoditi in un na scente museo ospitato dalla cittadina.

A cinquant’anni di distanza dalla scoperta dei “bronzi di Riace”, arrivano nuovi elementi che potranno «riscrivere la storia e sulla quale sono già al lavo ro oltre 60 esperti di tutto il mondo», dichiara l’etruscologo Jacopo Tabolli, responsabile dello scavo. Già, perché il sito toscano rappresenta il più grande deposito di statue in bronzo di età etru sca e romana mai scoperto nell’Italia an tica, oltre che uno dei più significativi di tutto il Mediterraneo, dato che finora, di questo periodo, si conoscevano per lopiù statue di terracotta.

«Un ritrovamento eccezionale, che conferma una volta di più che l’Italia è un paese di tesori immensi e unici. La stratificazione di diverse civiltà è un unicum della cultura italiana», dichia ra il Ministro della Cultura, Gennaro Sangiuliano che ha visitato il laborato rio dell’Istituto Centrale del Restauro di Grosseto, dove sono in corso le attività di studio e i primi interventi sui bronzi.

«È uno dei ritrovamenti di bronzi più significativi mai avvenuti nella storia del Mediterraneo antico - commenta il Di rettore Generale Musei, Massimo Osan na -. Abbiamo approvato l’acquisto del palazzo cinquecentesco che ospiterà nel borgo di San Casciano le meraviglie re stituite dal Bagno Grande, un museo al quale si aggiungerà in futuro un vero e proprio parco archeologico».

Agnese Carletti, sindaco di San Ca sciano, spiega come «questa scoperta offre al nostro paese un’opportunità che non è solo culturale e turistica, ma è una vera e propria occasione di rinascita. Qui nasceranno un nuovo museo, che

SCOPERTI I BRONZI DI SAN CASCIANO DEI BAGNI

Dalle acque termali della provincia di Siena, un ritrovamento che riscriverà la storia della statuaria etrusca-romana

ospiterà le eccezionali statue, e un par co archeologico. Due nuovi luoghi che saranno per il territorio un vero e pro prio motore di sviluppo che andrà ad aggiungersi alla già entusiasmante pre senza dei giovani archeologi provenienti da tutto il mondo che, grazie a questo scavo, stanno ripopolando il paese or mai per molti mesi all’anno».

I bronzi, riemersi dal fango di una sorgente termale della zona, raffigura no divinità venerate nei luoghi sacri, tra cui effigi di Igea e di Apollo. Il colore delle acque nelle quali sono state rinve nute ha permesso la conservazione di diverse iscrizioni in etrusco e in latino,

nelle quali si leggono i nomi di alcune famiglie potenti dell’Etruria interna. Le opere sono state datate tra il II secolo a.C. e il I secolo d.C.

«Il santuario con le sue statue appa re come un laboratorio di ricerca sulla diversità culturale nell’antichità, testi monianza unica della mobilità etrusca e romana – racconta ancora Tabolli -. Rispetto alle note scoperte di antiche statue in leghe di bronzo, quanto rie merso dal fango a San Casciano dei Ba gni è un’occasione unica di riscrivere la storia dell’arte antica e con essa la sto ria del passaggio tra Etruschi e Romani in Toscana».

55 GdB | Nov/dic 2022
Beni culturali
© Gorodenkoff/shutterstock.com * Consigliere tesoriere dell’Onb di Pietro Sapia*

LA

56 GdB | Nov/dic 2022 Sport
PARTITA
(CHE NON VEDRETE AI
IMPOSSIBILE
MONDIALI)
di Qatar 2022 può “vantare” fra i suoi spettatori d’eccezione tanti big del calcio mondiale, costretti sul divano da guai fisici o mancata qualificazione: a voi Infortunati-Eliminati
di Antonino Palumbo L’edizione

C’era una volta “Scapoli contro Am mogliati”, la classica sfida fra ama tori del calcio, immortalata con comica “tragicità” nel primo indi menticabile Fantozzi, quasi 50 anni fa. Una sgambata grottesca, tra autoreti goffe, pozzanghere “mostruose” e apparizioni di san ti sulla traversa. Se quella partita è stata unica e irripetibile, quella che vi proponiamo noi è ad dirittura impossibile e stavolta non c’entrano strambi ragionieri e geometri arrivisti.

Parliamo di Mondiali di calcio e di quei campioni che, per infortunio o per l’uscita di scena anticipata delle rispettive nazionali (ahi, ci brucia ancora), non sono potuti scendere in campo nel massimo evento targato FIFA, in corso in Qatar. La partita impossibile vede “non affrontarsi” – chiaramente – la squadra degli Infortunati e quel la degli Eliminati, en

trambe luccicanti di autentiche stelle del calcio mondiale.

La squadra degli infortunati si è infoltita a ridosso dell’evento qatariota e persino durante, con campioni come Neymar colpiti duramente nel primo match e costretti a dare forfait in quel li successivi. Noi, però, questa partita impossi bile l’abbiamo “organizzata” prima e perciò chi ai Mondiali è sceso in campo non rientra fra i nostri convocati. Gli Infortunati (non) si schie rano con uno spregiudicato modulo 3-4-3, ov vero tre difensori, quattro centrocampisti e tre punte, davanti al portiere Maignan. Già, il Su permike del Milan, che da settembre ha dovuto fare i conti con una serie di lesioni al polpaccio sinistro (gemello mediale, soleo), tornerà dispo nibile solo a gennaio. Ma non è l’unico asso del Dream Team francese costretto a guardare Qa tar 2022 in tv o sui vari device. Se ai campioni del mondo non mancano gli assi, il ct Didier Deschamps ha dovuto ripensare l’asse centrale, considerate le assenze di Pascal Kimpem be in difesa (dove ha invece recupe

57 GdB | Nov/dic 2022 Sport
© rarrarorro/shutterstock.com

rato Raphaël Varane), Paul Pogba (in gol quat tro anni fa nella finale con la Croazia, oggi fermo per un problema al ginocchio), e N’Golo Kanté (operato per un infortunio a una coscia) a cen trocampo e Karim Benzema in attacco. Il cen travanti del Real Madrid ha rimediato una lesio ne a un quadricipite, a due giorni dall’inizio dei Mondiali. È la terza volta che il Pallone d’Oro in carica salta un Mondiale: prima di Benzema era successo ad Alfredo Di Stefano (con la Spa gna) nel 1958 e al danese Allan Simonsen nel 1978.

Accanto al centrale Kim pembe, nella squadra degli In fortunati abbiamo due inglesi, entrambi del Chelsea: Reece James, probabile titolare del ct Southgate in Qatar, fermato da un problema al ginocchio a ottobre, e Ben Chilwell, che ha dovuto rinunciare ai Mondiali per una noia alla coscia. A dare ulteriore spessore a un centro campo di marca francese abbia mo invece Giovani Lo Celso, mancino argentino ai box dopo l’operazione al bicipite femo rale, e Georginio Wijnaldum, arrivato alla Roma in estate, ma spedito in infermeria da una frattura alla tibia.

Fra trequarti e attacco, la scelta per il ct degli Infortunati non manca, dal fantasista bra siliano Philippe Coutinho alla punta tedesca Timo Werner, fuori causa a inizio novembre per un infortunio alla caviglia. Per completare il reparto offen sivo, accanto a Benzema, abbiamo scelto Marco Reus e Diogo Jota. Il primo, Reus, sia perché è forte sia perché si porta dietro una specie di ma ledizione: saltò i Mondiali 2014 (vinti dalla Ger mania) per un guaio alla caviglia, gli Europei 2016 e 2021 per condizioni fisiche non ottimali. Anche stavolta a fermarlo è stata una distorsione alla caviglia con interessamento del legamento laterale. L’altro, Diogo Jota del Liverpool, per ché sarebbe stato un sicuro protagonista, dopo aver regalato gol e assist decisivi al Portogallo nei playoff con Turchia e Macedonia del Nord (ahi, brucia ancora).

Nell’altra metà campo, con l’espressione rab

buiata dal dispiacere, c’è la squadra degli Elimi nati, con tanta Serie A oltre che diversi calciatori italiani. Parliamo, come spiegato in apertura, dei giocatori che non sono riusciti a qualificarsi per il Mondiali con le rispettive nazionali: elementi di assoluto valore, che economicamente supera i 700 milioni.

In porta, manco a dirlo, quel Gianluigi Don narumma eletto miglior giocatore dell’Europeo vinto dall’Italia nel 2021, naufragato nell’ultima fase del girone di qualificazione e poi nel playoff con la Mace donia del Nord. Azzurri anche altri due difensori: l’esterno de stro Davide Calabria (Milan) e il centrale Alessandro Bastoni (Inter), affiancato dallo slovac co Milan Skriniar, solo terzo nel girone H di qualificazione die tro Croazia e Russia. Come per Donnarumma e Calabria, è sfu mata in sede di spareggi anche la chance mondiale di Andrew Robertson (Liverpool), esterno sinistro della Scozia battuta in semifinale dall’Ucraina.

Ad aumentare i nostri rim pianti, per un Campionato del Mondo senza l’Inno di Mameli, c’è un centrocampo della squa dra Eliminati composto inte ramente da calciatori italiani, almeno stando ai valori ripor tati dall’autorevole sito Tran sfermarkt. Da destra a sinistra, infatti, troviamo Nicolà Barella (Inter), Sandro Tonali (Milan) e Marco Verratti, eminenza grigia - anzi azzurra - del Paris Saint Germain di Messi, Neymar e Mbappé.

Il tridente d’attacco è stratosferico. A destra Mohamed Salah, star del Liverpool, valore di mercato 80 milioni: dopo aver dominato il gi rone F della zona CAF, infatti, l’Egitto è stato infatti eliminato dal Senegal nella terza fase, ai rigori. Dall’altro lato un altro dei “Reds”, Luis Diaz, giocatore da 75 milioni, solo sesto con la Colombia nelle qualificazioni della zona suda mericana. Al centro Erling Haland, macchina da gol del Manchester City, valutato 170 milio ni, la cui Norvegia non è andata oltre il terzo posto nel girone di qualificazione con Olanda e Turchia.

58 GdB | Nov/dic 2022 Sport
Paul Pogba, centrocampista della Francia, grande assente per infortunio ai Mondiali 2022. © ph.FAB/shutterstock.com

Corso Fad

BONIFICHE DEI SITI INQUINANTI E DANNO AMBIENTALE
Luglio-dicembre 2022 www.onb.it

CHIARA, CINZIA E GLI ALTRI LA DORATA STAGIONE DELL’ ARCO AZZURRO

Le discipline sportive nobili, come il tiro con l’arco (ma non solo), tornano alla ribalta con una cadenza differente rispetto al quadriennio che separa due edizioni delle olimpiadi

Il prestigioso raccolto dell’Italia ar cieristica è iniziato agli World Ga mes di Birmingham (Stati Uniti), rassegna multidisciplinare dedicata alle discipline non olimpiche, rinvia ta lo scorso anno. Chiara Rebagliati, atleta delle Fiamme Oro già azzurra a Tokyo 2020, è stata la più brava di tutte nella gara Cam pagna dell’Arco olimpico, battendo prima la numero uno del tabellone Elisa Tartler (Ger mania) e poi in finale, nettamente la britan nica Bryony Pitman. Nella stessa specialità, bronzo per Marco Morello dell’Aeronauti ca Militare. Altro profilo di riferimento per l’arcieria azzurra è quello di Cinzia Noziglia (Fiamme Oro) che, a cinque anni dal titolo iridato da debuttante assoluta, ha concesso il bis nella divisione Arco nudo, reggendo all’assalto delle tenaci Lina Bjorklund e Chri stina Lyons. Con due ori e un bronzo, l’Italia ha vinto il medagliere davanti alla Svezia (un oro, un argento e un bronzo) e alla Gran Bre tagna (un oro e un argento).

Trionfo totale per l’Italia, a livello sia or ganizzativo sia agonistico, al 10° campionato mondiale 3D di tiro con l’arco disputato in Umbria tra Terni, Stroncone e Carsulae. Il medagliere non mente: fra Arco nudo, Arco istintivo, Longbow e Compound, gli azzurri hanno totalizzato 14 totali (6 ori, 3 argenti, 5 bronzi), precedendo l’Austria (4 ori, 2 ar genti, 3 bronzi), la Francia e la Spagna (un oro, 2 argenti e un bronzo. Titolo mondiale

per la squadra maschile con Giuseppe Sei mandi con l’arco nudo, Giuliano Faletti con il longbow e Marco Bruno nel Compound e per il mixed team Compound, formato da Irene Franchini e Marco Bruno. A livello individuale, Cinzia Noziglia si è conferma ta atleta di elevata caratura, bissando l’oro di Terni 2015 nell’Arco nudo, grazie al suc cesso sull’austriaca Rosemerie Leitner. Nel Compound, primo titolo mondiale per Elisa Baldo, freddissima nella freccia di spareggio contro la svedese Ida Karlsson. Italia regina anche nel Longbow grazie all’esordiente Ce cilia Santacroce e Giuliano Faletti: la prima ha vinto il derby per l’oro con Ioana Bassi, il secondo l’ha spuntata sul francese Guillau me Quetel.

Chiara Rebagliati e Cinzia Noziglia sono state le trascinatrici dell’Italia ai Mondiali Field, ovvero il “tiro di campagna”, disputati a Yankton, nel South Dakota, Stati Uniti. Qui la selezione azzurra ha ancora una volta det tato legge nel medagliere con 5 ori e 4 argen ti, precedendo Stati Uniti (3 ori, un argento, 2 bronzi) e Francia (2 ori, 2 argenti e 3 bron zi). La festa tricolore è iniziata nelle finali a squadre, con il trio femminile formato da Cinzia Noziglia, Chiara Rebagliati e Sara Ret che si sono laureate campionesse del mondo superando in finale la Spagna (Cano Garcia, Misis Olivares, Pitarch) per 54-52. Ancora Rebagliati nel mixed team dell’Arco olimpi co: in coppia con Marco Morello, la 25enne

60 GdB | Nov/dic 2022
Sport

savonese cresciuta nell’Arcieri Cinque Terre ha vinto l’oro sconfiggendo i francesi Autret e Mulot. Argento nell’Arco nudo per Cinzia Noziglia ed Eric Esposito e nell’Olimpico U21 per per Aiko Rolando e Matteo Borsani. Nelle finali individuali Chiara Rebagliati si è confermata regina indiscussa del tiro di campagna, vincendo il terzo oro in tre giorni, per un punto sulla britannica Bryony Pitman. Spettacolare il testa a testa decisivo, che si è deciso grazie al ribaltone della savonese nell’ultima volée di frecce (tre a testa), ver so un bersaglio posizionato su una gru con una pendenza vertiginosa. Ennesimo alloro per Chiara: quel trionfo ai Mondiali giova nili Campagna di Dublino, nel 2016, non è stato solo un’illusione per l’arco azzurro. E non poteva che concludersi in trionfo anche l’anno solare di Cinzia Noziglia, 33enne di Zoagli, riviera ligure di Levante. Dopo l’oro agli World Games e quello ai Mondiali 3D, è arrivato anche il titolo iridato Field, grazie a

un’autoritaria prestazione nella finale con la francese Christine Gautier. Cinzia ha conclu so i tre più importanti eventi internazionali del 2022 senza perdere neppure un match individuale.

Tanta, tantissima Italia anche nella finale tutta italiana dell’Arco olimpico Under 21 femminile fra la piemontese Aiko Rolando, 20 anni dei quali 12 dedicati all’arco, e Ro berta Di Francesco, 19enne pescarese tesse rata con l’Asd Arcieri Abruzzesi, avvicinata si alla disciplina nel 2018. Una sfida vissuta sul filo dell’equilibrio per tutte e quattro le volée e decisa dal 14-13 a favore di Aiko nell’ultima, per il 57-56 finale. Per la ragazza di Susa, completamente ristabilita dall’ope razione alla spalla subita nel 2021, si tratta del secondo titolo iridato giovanile conse cutivo, dopo quello di Cortina d’Ampezzo. Medaglia d’argento, infine, nell’Olimpico U21 maschile, per Eric Esposito, battuto in finale dal francese David Jackson. (A. P.)

61 GdB | Nov/dic 2022
Sport
Fra Arco nudo, Arco istintivo, Longbow e Com pound, gli azzurri hanno totalizzato 14 totali (6 ori, 3 argenti, 5 bronzi), precedendo l’Austria (4 ori, 2 argenti, 3 bronzi), la Francia e la Spagna (un oro, 2 argenti e un bronzo. Chiara Rebagliati. © VicVic Liu/shutterstock.com

LA COPPIA DA SOGNO DEL PATTINAGGIO AZZURRO

cedenti 16 tappe dell’ISU Grand Prix of Figure Skating disputate dal 2012, Guignard-Fabbri possono vantare un terzo posto agli Europei più recenti, un quarto ai Mondiali e un quinto alle Olimpiadi invernali.

Se la vittoria ad Anger il 6 novem bre non è stata una sorpresa (e non solo per l’assenza dei big russi), il bis in terra britannica sette giorni più tardi è sta to la conferma dello stato di grazia del duo Guignard-Fabbri nella “Ice Dan ce”. Dominando sia nella Rhytm Dan ce (86,30 punti), sia nel libero (127,44) per 213,74 punti totali, gli azzurri han no staccato i “padroni di casa” Lilah Fear/Lewis Gibson (205,56) e i cana desi Marjorie Lajoie/Zachary Lagha (198,95), guadagnando la matematica qualificazione per le finali dell’8-11 di cembre al PalaVela di Torino. Per Char lène e Marco, già finalisti e terzi classi ficato nel 2018, anche i primati italiani e la seconda prestazione mondiale sta gionale.

Chi la dura, la vince. Anche se deve aspettare dieci anni e sedici tentativi a vuoto. Hanno atteso a lungo, col lezionando piazzamenti al tisonanti e medaglie prestigiose, anche Charlène Guignard e Marco Fabbri, che a novembre hanno centrato l’anelato successo in Coppa del Mondo di patti naggio di figura, aggiudicandosi il Grand Prix de France di Angers. Poi ci hanno preso gusto e si sono ripetuti all’MK John Wilson Trophy all’IceSheffield di Sheffield, nel South Yorkshire, UK, in un weekend straordinario per l’Italia.

La prima vittoria dell’accoppiata Guignard-Fabbri è arrivata nella terza

prova stagionale del circuito, in quella Francia che ha visto Charlène crescere con la passione per questa disciplina, condivisa dal 2010 con Marco. Gui gnard e Fabbri, 33 anni lei, 34 lui, si sono aggiudicati la vittoria con ampio margine sui canadesi Fournier Beau dry-Soerensen (201,93) e sui francesi Lopareva-Brissaud (187,15), totalizzan do 207,95 punti: 83.52 con la samba e la rumba della Rhythm Dance del venerdì, 124,43 con il libero su musiche dalle atmosfere dark. Una vittoria tutt’altro che casuale, così come la loro ascesa, figlia di un’applicazione e una crescita costanti, nel solco della grande tradi zione italiana: oltre a 6 podi nelle pre

Ne è passato di ghiaccio sotto i pat tini da quell’annuncio che Charlène af fidò al web, dopo il ritiro dalle scene di Guillaume Palumier col quale aveva fat to a lungo coppia sportiva. “Galeotto” fu quell’annuncio, dunque, anche il sito in questione non ha nulla a che vedere con Meetic e affini, ma è espressamente rivolto ai pattinatori in cerca di partner. Poi, però, è successo che Guignard e Fabbri sono diventati una coppia anche nella vita. Lei è diventata italiana per meriti speciali nel 2013, grazie a un De creto del Presidente della Repubblica emesso dopo una richiesta del Governo Letta, e alle Olimpiadi di Sochi 2014 ha gareggiato da italiana con Marco. Deci sivo, poi, per la loro crescita sportiva è stato il supporto della loro allenatrice Barbara Fusar Poli, che ha fatto di Gui gnard-Fabbri una delle migliori coppie di danza sul ghiaccio al mondo.

A Sheffield, l’Italia ha festeggiato an che il successo del 20enne Daniel Gras sl, primo azzurro a imporsi nel singolo di Coppa del Mondo in 27 edizioni, e il secondo posto di Sara Conti-Niccolò Macii nelle coppie di artistico. (A. P.)

62 GdB | Nov/dic 2022
Charlène Guignard e Marco Fabbri vincenti in Coppa del Mondo e all’MK John Wilson Trophy all’IceSheffield di Sheffield
Sport
Charlène Guignard e Marco Fabbri. © Diego Barbieri/shutterstock.com

La foto dopo l’arrivo trionfale della Parigi-Roubaix rimarrà una delle immagini più belle della sua carriera. Il fango, la fatica, la gioia. Agli occhi dei figli, il 3 ottobre 2021, Sonny Colbrelli è diventato un supereroe. E per il cicli smo italiano ha scritto un’altra pagina indelebile, dopo un’estate da assoluto protagonista con i trionfi ai Tricolo ri professionisti, al Benelux Tour e al Campionato europeo disputato a Tren to, davanti al talento Remco Evenepoel.

È passato poco più di un anno, ma sembra una vita. Come quella che Son ny Colbrelli ha rischiato di perdere e ora vuole preservare: il 32enne brescia no ha annunciato il ritiro dall’attività agonistica. «Ho pensato di togliere il defibrillatore per poter provare a torna re a correre. Ma sarebbe stato un rischio troppo grande», le parole di Colbrelli.

Il mondo di Sonny è cambiato lo scorso 21 marzo quando, al termine del la prima tappa della Volta Catalunya in Spagna, il ciclista di Desenzano sul Gar da si è accasciato al suolo per un arresto cardiaco ed è stato salvato dall’interven to di un infermiere con il defibrillatore. Pochi giorni dopo, a Padova, gli è stato impiantato un defibrillatore sottocuta neo che interviene in caso di aritmia. Ma per le norme sanitarie italiane non si può concedere l’idoneità sportiva ago nistica a chi porta un defibrillatore.

Colbrelli è solo l’ultimo dei campio ni dello sport costretto a fermarsi per problemi cardiaci. Dal calcio al basket, sono numerosi i casi - anche eclatantiemersi negli ultimi anni. Il più recente è quello di Enock Mwepu, 24enne cal ciatore zambiano del Brighton, nella Premier League inglese. Il regista della squadra allenata dall’italiano Roberto De Zerbi si è sentito male durante una pausa per gli impegni delle nazionali di calcio e, una volta ricoverato, ha ap preso dopo una serie di analisi di essere affetto da una malformazione cardia ca ereditaria. Potenzialmente letale, se avesse continuato a giocare.

Come quello del Sergio Aguero, cal ciatore argentino da 400 gol e 21 titoli,

COLBRELLI , CAMPIONE “TRADITO” DAL CUORE

Il ciclista lombardo, dopo l’arresto cardiaco al termine di una gara, rinuncia alla carriera agonistica. Ha un defibrillatore sottocutaneo che in Italia preclude l’idoneità sportiva

che poco meno di un anno fa ha annun ciato il ritiro per un’aritmia cardiaca. «Prima viene la salute», le sue parole. Sergio era da poco approdato al Bar cellona, dopo 11 stagioni al Manchester City. Fra gli altri campioni del calcio co stretti allo stop anticipato anche il fran cese Liliam Thuram, per una malforma zione cardiaca simile a quella costata la vita al fratello.

Nel basket l’ultimo ritiro forzato è stato quello di LaMarcus Aldridge, cen tro dei Brooklyn Nets, nell’aprile del 2021. «Durante la mia ultima partitaha scritto, nel suo annuncio sui social network - ho giocato nonostante avessi dei problemi di aritmia. Battito accelera

to che nel corso della notte successiva al match è peggiorato e mi ha fatto preoc cupare ancora di più». Poi ha aggiunto: «Per 15 anni ho sempre messo il basket al primo posto nella mia vita e adesso è ora di privilegiare le mia famiglia e la mia salute». Altro campione costretto al ritiro a causa di una malattia cardiaca genetica (ipertrofia), a soli 27 anni e con due ori olimpici di Sidney che avrebbe voluto difendere ad Atene 2004, è stato l’italiano Domenico Fioravanti.

La medicina e i regolamenti hanno permesso anche a diversi sportivi di tor nare all’agonismo. Storie a lieto fine, che hanno comunque sempre privilegiato la salute sopra ogni valore. (A. P.)

63 GdB | Nov/dic 2022
Sport
Sonny Colbrelli. © DUSAN ZIDAR/shutterstock.com

DALLA TERRA ALLA MENTE COME LE SOSTANZE VEGETALI AGISCONO SUL PENSIERO

L’alterazione della coscienza attraverso sostanze psicoattive, dal semplice caffè alle droghe pesanti. Natura e cultura si incontrano nella sollecitazione della coscienza

“Piante che cambiano la mente”

Adelphi, 2022 - 20 Euro

Cara, per fare un buon caffè, usane abbastanza. Un cucchiaio colmo per ogni tazza. È questo il consiglio che dà Betty direttamente dalla copertina del libro. Un gesto così semplice che racchiude in sé una dipendenza universale, eppu re socialmente accettabile.

Provate a pensare a quali droghe assumete ogni giorno senza saperlo. Provate a smettere di bere caffè per un determinato periodo di tempo, come ha fatto Michael Pollan nel suo esperimen to di privazione, e poi aspettate di vedere cosa succede al vostro corpo.

Quello che succede alla vostra mente quando si assumono talune “droghe” lo spiega l’autore di questo reportage, saggio, memoir che letteral mente ti cambia il pensiero. Ma cos’è esattamente una droga? È questa la domanda che si pone lo scrittore scegliendo di analizzarne tre tra le tante molecole psicoattive di cui la natura ci fa dono: la caffeina, la mescalina e l’oppio. Il giornalista esplora il modo in cui le persone amano cambia re la loro coscienza consumando semplicemente delle piante. Fa anche altro, in qualche modo, ri esce a spostare la percezione del pubblico sugli psichedelici.

Un viaggio tortuoso e improbabile dalla terra alla mente, il percorso che queste piante compio no in natura, alla scoperta dei desideri umani su cui fanno leva e su cui noi non possiamo che fare affidamento.

Un’indagine di carattere personale sulla stra ordinarietà di organismi vegetali come il caffè, il papavero da oppio e il peyote. Rispettivamente ti tira su, ti butta giù e ti porta fuori di te.

L’alterazione della coscienza è il risultato che questi vegetali danno all’uomo. È questa la carat teristica affascinante e terrorizzante delle piante di Pollan, la loro «natura bifronte» che ci spinge a consumarle attirandoci come calamite e a guar darci bene da loro, poiché anche gli animali lo sanno, sono velenose. Da quando le introducia mo nel nostro corpo, non ne possiamo più fare a meno.

Il libro indaga in maniera esatta i punti in cui natura e cultura si incontrano. Allo stesso modo in cui cambiano la mente, cambiano an che il mondo. Ripensiamo al caffè, da questo non abbiamo solo acquisito lo sprint mattutino per iniziare bene la giornata ma ha reso possibile l’illuminismo e vere e proprie rivoluzioni, anche letterarie.

64 GdB | Nov/dic 2022
Libri
di Anna Lavinia Michael Pollan

La caffeina, a differenza delle altre, è una so stanza molto particolare, infatti la sua storia si in treccia con quella della civiltà moderna. Arriva in Europa quando soffia il vento del cambiamento, lo vediamo dall’esplosione di caffetterie che di verranno luoghi d’incontro e confronto di tutta la società, scienziati, pensatori, letterati e uomini d’affari non ne possono fare a meno. Ha silenzio samente contributo a plasmare la società capitali sta, aiutandoci ad essere sempre svegli ed operosi. Una su tutte, la convenzione sociale del coffee break, una situazione dove i datori di lavoro per mettono di consumare una droga legale, sotto forma di caffè o tè. Perché concedono del tempo retribuito per farlo? Per uno dei prerequisiti della rivoluzione industriale, il caffè rende i lavoratori più concentrati e performanti.

È impossibile pensare di non assumere sostan ze che alterino la mente. Tutto ciò che mangia mo ci modifica in un modo o nell’altro, cambia il nostro umore. La sostanza, non quella alcaloide, ma quella conclusiva è che è del tutto normale e umano voler cambiare la nostra coscienza, è un impulso universale come riprodursi o procacciar si del cibo. Ma attenzione, come diceva Paracelso, è la dose che fa il veleno.

Karine Marsilly

“La mia vita con gli alberi” Einaudi, 2022 - 18,50 Euro

Karine Marsilly è stata una bambina di cit tà con una grande fortuna. Ha trascorso le estati della sua infanzia in montagna dai nonni, circondata dalla natura: arrampicarsi sugli alberi era la sua gioia piú grande. Non lo avrebbe mai detto, ma un giorno la sua passione per le avventure tra rami e foglie sarebbe diventato il suo lavoro.

Bernardo Zannoni

“I miei stupidi intenti” Sellerio, 2022 - 16 Euro

Premio Campiello 2022, questo libro è sul la natura, sull’istinto e sulle sue leggi. È la lunga vita di una faina raccontata di suo pugno. Gli animali qui parlano, scrivono, usano i piatti e le stoviglie ma lottano ogni giorno per la loro sopravvivenza. Attraverso il crudo mondo animale, una storia umana universale. (A. L.)

Silvia Paladino

“Come fiori selvatici” L’Erudita, 2022 - 15,99 Euro

I fiori selvatici per loro naturale caratteri stica, sopravvivono a qualunque avversità nel tempo e nello spazio. Alla terra sot tostante e alla trasformazione del mondo resistono fragili e forti come i protagonisti di queste dieci storie che si intrecciano e raccontano l’amore, la nostalgia e l’altrove rimanendo sempre fuori posto. (A. L.)

65 GdB | Nov/dic 2022
Libri

CONCORSI PUBBLICI PER BIOLOGI

UNIVERSITÀ DEL MOLISE IN CAMPOBASSO

Scadenza, 8 dicembre 2022

Procedure di selezione per la coper tura di tre posti di ricercatore a tempo determinato, vari settori concorsuali, per il Dipartimento di bioscienze e ter ritorio. Gazzetta Ufficiale n. 88 del 0811-2022.

AZIENDA SANITARIA PROVIN CIALE DI COSENZA

Scadenza, 8 dicembre 2022

Concorso pubblico, per titoli ed esami, per la copertura di due posti di dirigente biologo, disciplina di patolo gia clinica e biochimica clinica, a tempo indeterminato. Gazzetta Ufficiale n. 88 del 08-11-2022.

UNIVERSITÀ DI MILANO-BICOC CA

Scadenza, 11 dicembre 2022

Procedure di selezione per la coper tura di due posti di ricercatore a tempo determinato, vari settori concorsuali, per il Dipartimento di biotecnologie e bioscienze. Gazzetta Ufficiale n. 89 del 11-11-2022.

UNIVERSITÀ DI MILANO-BICOC CA

Scadenza, 11 dicembre 2022

Procedura di selezione per la chia mata di un professore di seconda fascia, settore concorsuale 05/E2 - Biologia molecolare, per il Dipartimento di bio tecnologie e bioscienze. Gazzetta Uffi ciale n. 89 del 11-11-2022.

UNIVERSITÀ DI PERUGIA

Scadenza, 18 dicembre 2022

Conferimento di due borse di studio

per il corso di dottorato in scienze e bio tecnologie agrarie, alimentari e ambien tali - XXXVIII ciclo, anno accademico 2022-2023. Gazzetta Ufficiale n. 91 del 18-11-2022.

AZIENDA SOCIO-SANITARIA TERRITORIALE DI LECCO

Scadenza, 18 dicembre 2022

Concorso pubblico, per titoli ed esa mi, per la copertura di due posti di diri gente biologo, disciplina di microbiolo gia e virologia, a tempo indeterminato. Gazzetta Ufficiale n. 91 del 18-11-2022.

UNIVERSITÀ DEL SANNIO DI BE NEVENTO

Scadenza, 19 dicembre 2022

Valutazione comparativa per la co pertura di un posto di professore di seconda fascia, settore concorsuale 05/ F1 - Biologia applicata, per il Diparti mento di scienze e tecnologie. Gazzetta Ufficiale n. 94 del 29-11-2022.

AZIENDA SANITARIA LOCALE AL – ALESSANDRIA

Scadenza, 22 dicembre 2022

Concorso pubblico, per titoli ed esa mi, per la copertura di un posto di diri gente biologo, disciplina di igiene degli alimenti e nutrizione, a tempo indeter minato. Gazzetta Ufficiale n. 92 del 2211-2022.

ISTITUTO TUMORI IRCCS “GIO VANNI PAOLO II” DI BARI

Scadenza, 22 dicembre 2022 Concorso pubblico, per titoli ed esami, per la copertura di un posto di dirigente biologo, disciplina di patolo gia clinica. Gazzetta Ufficiale n. 92 del 22-11-2022.

UNIVERSITÀ TELEMATICA IN TERNAZIONALE UNINETTUNO DI ROMA

Scadenza, 29 dicembre 2022

Procedura di selezione per la coper tura di un posto di ricercatore a tempo determinato e definito, settore concor suale 05/F1 - Biologia applicata, per la facoltà di Psicologia. Gazzetta Ufficiale n. 94 del 29-11-2022.

AZIENDA UNITÀ LOCALE SO CIO-SANITARIA N. 3 SERENISSI MA DI VENEZIA MESTRE

Scadenza, 29 dicembre 2022

Conferimento dell’incarico quin quennale ed a rapporto esclusivo di dirigente medico o dirigente biologo o dirigente chimico - direttore di struttu ra complessa UOC Servizio igiene degli alimenti della nutrizione Dipartimento di prevenzione, disciplina di igiene de gli alimenti e della nutrizione. Gazzetta Ufficiale n. 94 del 29-11-2022.

CONSIGLIO NAZIONALE DELLE RICERCHE – ISTITUTO PER LA PROTEZIONE SOSTENIBILE DEL LE PIANTE DI PORTICI (NA)

Scadenza, 5 dicembre 2022

È indetta una pubblica selezione per titoli, eventualmente integrata da collo quio, per il conferimento di n. 1 (una) borsa di studio per laureati, per ricerche inerenti l’Area scientifica “Difesa pro duzione primaria” da usufruirsi presso l’Istituto per la Protezione Sostenibile delle Piante del CNR, Sede Seconda ria di Portici, nell’ambito del proget to DBA.AD003.189 “CompEcoCast – Compostaggio eco-sostenibile nei Castagneti italiani”. Per informazioni, www.cnr.it, sezione “concorsi”.

66 GdB | Nov/dic 2022
Lavoro

CONSIGLIO NAZIONALE DELLE RICERCHE – ISTITUTO PER LA PROTEZIONE SOSTENIBILE DEL LE PIANTE DI PORTICI (NA)

Scadenza, 5 dicembre 2022

È indetta una pubblica selezione per titoli, eventualmente integrata da collo quio, per il conferimento di n. 1 borsa di studio per laureati, per ricerche ine renti l’Area scientifica “DIFESA PRO DUZIONE PRIMARIA” da usufruirsi presso l’istituto per la Protezione Soste nibile delle Piante del CNR, Sede Se condaria di Portici, nell’ambito del pro getto MIGLIORCAST “Miglioramento della competitività delle aziende casta nicole mediante applicazione di tecni che innovative di gestione del prodotto in pre e post-raccolta”. Per informazio ni, www.cnr.it, sezione “concorsi”.

CONSIGLIO NAZIONALE DELLE RICERCHE – ISTITUTO PER L’EN DOCRINOLOGIA E L’ONCOLO GIA “GAETANO SALVATORE” DI NAPOLI

Scadenza, 5 dicembre 2022

È indetta una pubblica selezione per titoli, eventualmente integrata da collo quio, per il conferimento di n 1 borsa di studio per laureati, per ricerche inerenti l’Area scientifica “Scienze Biomediche” da usufruirsi presso l’Istituto per l’En docrinologia e l’Oncologia Sperimen tale del CNR di Napoli, nell’ambito del Progetto finanziato dall’Associa zione Italiana per la Ricerca sul Cancro (AIRC), dal titolo “Development of innovative drug-loaded and aptamer targeted nanosystems for treatment of triple-negative breast cancer”. Per in formazioni, www.cnr.it, sezione “con corsi”.

CONSIGLIO NAZIONALE DELLE RICERCHE – ISTITUTO DI BIO CHIMICA E BIOLOGIA CELLULA RE DI NAPOLI

Scadenza, 7 dicembre 2022

È indetta una pubblica selezione per titoli, eventualmente integrata da collo quio, per il conferimento di n.1 borsa di studio per laureati, per ricerche ine

renti l’Area scientifica “Scienze biolo giche, biochimiche e farmacologiche” da usufruirsi presso l’Istituto di Bio chimica e Biologia Cellulare del CNR presso la sede di Napoli, nell’ambito del Progetto “MODULATION AND INDUCTION OF MACROPHAGE POLARIZATION BY NEW COM POUNDS FOR IMMUNOTRERA PEUTIC APPROACHES TO IN FLAMMATORY DISEASES”. Per informazioni, www.cnr.it, sezione “con corsi”.

CONSIGLIO NAZIONALE DELLE RICERCHE – ISTITUTO PER LA PROTEZIONE SOSTENIBILE DEL LE PIANTE DI TORINO Scadenza, 22 dicembre 2022

È indetta una pubblica selezione per titoli, eventualmente integrata da collo quio, per il conferimento di n.1 borsa di studio per laureati, per ricerche inerenti l’Area scientifica “SCIENZE AGRA RIE” da usufruirsi presso l’ISTITUTO PER LA PROTEZIONE SOSTENI BILE DELLE PIANTE (SEDE) DEL CNR DI TORINO nell’ambito del Progetto di Ricerca “BatRam: Diagnosi di batteri fitopatogeni mediante spet troscopia Raman e machine learning”. Per informazioni, www.cnr.it, sezione “concorsi”.

CONSIGLIO NAZIONALE DELLE RICERCHE – ISTITUTO DI BIOLO GIA E BIOTECNOLOGIA AGRA RIA DI ROMA

Scadenza, 22 dicembre 2022

È indetta una pubblica selezione per titoli, eventualmente integrata da collo quio, per il conferimento di una borsa di studio per laureati, per ricerche ine renti all’Area scientifica “Biologia Mo lecolare” da usufruirsi presso l’Istituto di Biologia e Biotecnologia Agraria del CNR sede di Roma, nell’ambito del Progetto di Ricerca “SMART-BREED POR FESR LAZIO 2014-2020”. Per informazioni, www.cnr.it, sezione “con corsi”.

CONSIGLIO NAZIONALE DELLE

RICERCHE – ISTITUTO DI BIO SCIENZE E BIORISORSE DI PA LERMO

Scadenza, 27 dicembre 2022

È indetta una selezione pubblica per titoli e colloquio ai sensi dell’art. 8 del “Disciplinare concernente le assunzioni di personale con contratto di lavoro a tempo determinato” per l’assunzione, con contratto di lavoro a tempo deter minato ai sensi dell’art. 83 del CCNL del Comparto “Istruzione e Ricerca” 2016-2018, sottoscritto in data 19 apri le 2018, di una unità di personale con profilo professionale di Ricercatore - III livello, fascia stipendiale iniziale, presso l’Istituto di Bioscienze Biorisorse sede di Palermo per lo svolgimento della seguente attività di ricerca scientifica: ‘Isolamento, identificazione e caratte rizzazione molecolare della frazione en dofita del microbiota di vite, e selezione di ceppi di microrganismi benefici ai fini del miglioramento della tolleranza a stress biotici e abiotici’, nell’ambito del progetto denominato PROSIT citato nelle premesse. Per informazioni, www. cnr.it, sezione “concorsi”.

CONSIGLIO NAZIONALE DELLE RICERCHE – ISTITUTO PER LO STUDIO DEGLI IMPATTI ANTRO PICI E SOSTENIBILITÀ IN AM BIENTE MARINO DI GENOVA

Scadenza, 29 dicembre 2022

È indetta una pubblica selezione per titoli, eventualmente integrata da collo quio, per il conferimento di una borsa di studio per laureati, per ricerche inerenti l’Area scientifica “RISCHI NATURA LI, AMBIENTALI ED ANTROPICI” da usufruirsi presso l’Istituto per lo Studio degli Impatti Antropici e Soste nibilità in ambiente marino del CNR di Genova nell’ambito del Programma di Ricerca RESPONSE “Towards a ri sk-based assessment of microplastic pollution in marine ecosystem” e del Progetto IMPACT ““Strumenti inno vativi per la valutazione degli effetti dei contaminanti emergenti nell’ambiente marino”. Per informazioni, www.cnr.it, sezione “concorsi”.

67 GdB | Nov/dic 2022
Lavoro

Vaccini contro l’HIV Passato, presente e futuro

L’AIDS non è più considerata una malattia mortale, ma una sindrome cronica Criticità legate all’uso di farmaci e ai loro effetti collaterali di Giuliana Pellegrino*

La pandemia causata dalla sindrome dell’immuno deficienza acquisita (AIDS) rimane una minaccia diffusa per la salute globale con 76 milioni di per sone infettate e 33 milioni di morti tra il 1981 e oggi [1]. L’AIDS è causata dall’infezione del virus dell’immunodeficienza umana (HIV), un virus con il quale convivono 38 milioni di persone e che causa circa 1.5 milioni di nuovi casi all’anno [2]. Grazie ai progressi fatti nello svi luppo di farmaci antiretrovirali, l’AIDS non è più conside rata una malattia mortale bensì una sindrome cronica. Esi stono, tuttavia, molte criticità legate all’uso di questi farmaci quali i loro effetti collaterali, il costo e il rischio di sviluppare resistenza [1]. A queste problematiche si aggiunge il fatto che non tutti i Paesi hanno eguale accesso a questi tratta menti. Per tutti questi motivi la comunità scientifica cerca da tempo di sviluppare un vaccino terapeutico o profilattico contro HIV che sia sicuro ed efficace [1].

Cos’è l’HIV?

L’HIV è un retrovirus appartenente al genere Lentivirus e i principali agenti eziologici sono rappresentati dai virus HIV-1 e HIV-2, entrambi potenzialmente responsabili dello sviluppo dell’AIDS [3]. Il suo genoma è costituito da due copie identiche di RNA a singolo filamento. Nella cellula ospite questo RNA viene retrotrascritto in DNA dall’enzima trascrittasi inversa che lo stesso virus porta con sé. Il DNA, prima a singolo e poi doppio filamento, si integra nel geno ma della cellula ospite causando un’infezione persistente [3, 4]. La bassa fedeltà della trascrittasi inversa dell’HIV è alla base dell’estrema variabilità virale tipica dell’HIV, in quanto comporta la generazione di mutanti [4]. Il virus prende di mira le cellule del sistema immunitario, più precisamente i

* PhD, manager scientifica per la Bordeaux School of Neuroscien ce, collaboratrice di BioPills: il vostro portale scientifico.

linfociti T CD4+ e i macrofagi CD4+ [3]. Nel suo genoma si distinguono geni strutturali e ausiliari [3]. I geni strutturali sono:

- gag che codifica per le proteine del core (p24,p7,p6) e della matrice (p17); - pol che codifica per la retrotrascrittasi e l’integrasi; - env che codifica per le proteine dell’envelope (gp120 che riconosce e aggancia CD4, e gp41)

I geni ausiliari sono: - Tat e Rev: che codificano per le proteine regolatorie; - Vpr, Vpu, Vif e Nef: che codificano per alcune delle pro teine accessorie [3].

La

variabilità di HIV

Lo sviluppo di un vaccino contro l’HIV deve riuscire a superare l’ostacolo rappresentato dalla variabilità dell’HIV, con ceppi circolanti che differiscono l’uno dall’altro fino al 35% nelle proteine dell’envelope (in sottotipi diversi) [2, 5]. Sono stati tuttavia identificati epitopi conservati su Env che, se mutati, hanno un impatto negativo sulla fitness virale, cioè la capacità di un virus di produrre progenie infettiva in un dato ambiente (l’epitopo è la porzione specifica di un antigene che è riconosciuta e legata dagli anticorpi). Questi sono epitopi sulle subunità gp120 e gp41 e comprendono il sito di legame con CD4 e l’interfaccia gp120-gp41 [6].

Meccanismi di infezione e patogenesi

La patogenesi dell’infezione da HIV e la progressione in AIDS dipendono dalle proprietà del virus e dal sistema immunitario dell’ospite. L’equilibrio tra queste due com ponenti determina l’esito dell’infezione. L’HIV non può sopravvivere al di fuori di un fluido ed è inattivato da de tergenti o disinfettanti. Di conseguenza, la trasmissione ri chiede l’esposizione diretta a sangue o secrezioni infetti in presenza di ferite o abrasioni nei tessuti in cui avviene il con tatto, per trasmissione perinatale e per contatto sessuale [1, 3]. L’HIV viaggia dal sito infettato agli organi e ai tessuti

68 GdB | Nov/dic 2022
Scienze

linfoidi secondari entro una settimana dall’esposizione e può essere rilevato nella maggior parte dei tessuti e nel sangue entro due settimane [1,3]. L’infezione è seguita da una fase acuta, durante la quale il sistema immunitario la controlla ma non la eradica, seguita da una fase asintomatica che può durare anni sfociando infine nella fase sintomatica con mani festazione della sindrome dell’AIDS [3].

Anticorpi neutralizzanti

È stato osservato che, in alcuni casi, durante l’infezio ne naturale possono svilupparsi i cosiddetti bnAb (Broadly Neutralizing HIV-1 Antibodies), cioè anticorpi neutraliz zanti diretti verso molteplici ceppi virali di HIV-1 [6, 7]. Questo ha alimentato un certo entusiasmo all’idea che an che un vaccino possa suscitare un’immunità umorale dura tura imitando l’evoluzione dell’infezione virale [6, 7]. Gli anticorpi bnAb impediscono ai virioni di infettare le cellule CD4+ bloccandone l’ingresso e la fusione della membrana. Al contrario, gli anticorpi non neutralizzanti si legano alle cellule infettate dal virus attivando risposte Fc-dipenden ti, come la citotossicità cellulare anticorpo-dipendente [6]. Poiché HIV muta rapidamente e si integra nei geni dell’o spite, al momento dell’infezione devono essere presenti ele vati livelli di anticorpi a lunga durata contro più epitopi e contro vari ceppi virali per prevenire la fuga del virus e fornire un’immunità sterilizzante [6].

Quali sono le sfide di questo approccio?

La sfida numero 1 è che gli anticorpi bnAb che legano epitopi neu tralizzanti hanno rivelato proprietà insolite per cui i linfociti B che li espri mono come recettori di superficie sono auto/po lireattivi e quindi soggetti a tolleranza immunitaria, motivo per cui vengono generati raramente o so pravvivono con difficoltà [6, 7]. La sfida numero 2 è che la generazione di bnAb richiede alti livelli di mutazioni somatiche improbabili nei centri germinali [6, 8]. La sfida numero 3 è che l’indu zione di bnAb median te vaccinazione richiede immunogeni diversi in immunizzazioni sequen ziali [6]. L’approccio di immunizzazione sequenziale si effettua vaccinando prima con un immunogeno che inizia il processo di maturazione dei bnAb nei centri germinali (priming), e poi con succes sive vaccinazioni di richiamo (booster) contenenti forme modificate dell’immunogeno di priming e che promuovono l’acquisizione di mutazioni chiave (molte delle quali impro babili) [6, 9]. La sfida numero 4 è che non solo le risposte dei bnAB ma anche l’azione dei linfociti T CD8+ potrebbe essere necessaria per ottenere una protezione ottimale. Tut tavia, le due risposte sono indotte attraverso percorsi molto diversi, rendendo la concezione di un vaccino ancora più complessa [6]. A ciò si aggiunge l’esistenza di un serbatoio latente: un gruppo di cellule T CD4+ che ha geni HIV fun zionali incorporati nel loro DNA che non sono trascritti. Poiché le proteine virali non vengono tradotte, i linfociti T CD8+ non saranno in grado di riconoscere ed eliminare le cellule infette [1, 11].

A partire da ciò un nuovo approccio è venuto a galla per combattere il virus da più angolazioni: creare un vacci no terapeutico che combini agenti di inversione di latenza (LRA) con anticorpi bloccanti. Gli agenti LRA riattivano il virus permettendo al sistema immunitario di riconoscerlo. Gli anticorpi bloccanti sono progettati contro il virus o i re cettori da esso utilizzati e ne impediscono la diffusione una volta interrotta la latenza [1]. L’elevato livello di protezione mediata dai bnAb e le recenti discussioni sulle miscele di

69 GdB | Nov/dic 2022 Scienze
© Corona Borealis Studio/shutterstock.com

vaccini a cellule T e B spingono verso l’adozione di una stra tegia combinata [6].

Primi trial clinici 1- I primi studi di efficacia di fase 3 per un vaccino con tro l’HIV sono stati VAX003 e VAX004, agli inizi degli anni 2000. Essi utilizzavano una formulazione proteica bivalen te ma in entrambi i casi non hanno impedito l’infezione né comportato effetti significativi sulla carica virale o sulla pro gressione della malattia [2].

2- I risultati degli studi VAX003 e VAX004 hanno spinto a cambiare strategia e a cercare di suscitare la risposta dei linfociti T specifici tramite vaccini a vettore virale. Lo studio STEP (2008), che ha utilizzato un vaccino a vettore adeno virale (Ad5) è stato interrotto a causa di un aumento delle infezioni da HIV tra i partecipanti che avevano ricevuto il vaccino rispetto al placebo. Successivi esperimenti in vitro hanno dimostrato che le cellule T CD4+ specifiche per Ad5 sono altamente suscettibili all’infezione da HIV [2].

3- RV144 è stato uno studio condotto dal 2003 al 2009 in Thailandia con oltre 16.000 partecipanti con rischio di infe zione da HIV relativamente basso. Questo è stato il primo studio di efficacia che ha impiegato la strategia di prime-bo ost con una proteina del vaiolo. Esso ha associato il vettore virale ALVAC-HIV (vCP1521), basato su una forma inerte del vaiolo del canarino contenente versioni geneticamente modificate di env, gag e pol, con AIDSVAX B/E cioè gp120 geneticamente modificata, con l’obiettivo di suscitare rispo ste sia cellulari che umorali. Il regime ha mostrato un’effica cia del 60% a 12 mesi dopo l’immunizzazione; percentuale scesa al 31% a 3,5 anni [2].

4- I successivi risultati di efficacia riportati sono stati quelli di HVTN 505 (2013), che è stato progettato per rispondere alle domande sui vettori Ad5 lasciati in sospeso dai risultati dello studio STEP, senza però riuscire a prevenire l’infezio ne o ridurre la carica virale dell’HIV [2].

Studi follow- up basati su RV144

Nonostante il modesto risultato, RV144 ha riacceso la speranza che lo sviluppo di un vaccino efficace contro l’HIV possa essere possibile stimolando diversi trial di follow-up. Questi hanno esaminato strategie per migliorare la durata delle risposte immunitarie tramite diversi booster [2].

1- RV305 (2012-2021) ha arruolato individui vaccinati con RV144, e non infetti da HIV, sei-otto anni dopo il primo trial e valutato il boosting con ALVAC-HIV, AIDSVAX B/E o entrambe rispetto al placebo. Questo studio suggerì che: il boosting ripetuto con lo stesso antigene può non riuscire a ottenere risposte immunitarie durevoli e funzionali [2].

2- RV306 (2013-2021) ha ricapitolato il regime RV144 e ha aggiunto un boosting con ALVAC-HIV o AIDSVAX B/E a 12, 15 o 18 mesi per determinare la tempistica ottimale. I risultati sembrano prediligere il boosting tardivo a 15 o 18

mesi che ha comportato risposte IgG plasmatiche più elevate e un aumento della funzionalità e dei linfociti T CD4+ a 24 mesi [2].

3- HVTN 097 (20132015) è stato condotto in Sud Africa impiegan do la formulazione e il programma del vaccino RV144 con un ulteriore boost a 12 mesi, e si è dimostrato sicuro e ben tollerato. Tutti i vaccina ti hanno sviluppato an ticorpi contro la gp120, in quantità significativa mente superiori rispetto a RV144, nonché rispo ste più elevate dei linfo citi T CD4+. Tuttavia, anche in questo caso, le risposte IgG e CD4+ sono diminuite nel tempo [2].

4- Lo studio di fase 2b/3 HVTN 702 è iniziato nel 2016 in Sud Africa e ha arruolato partecipanti a rischio di HIV. I risultati dell’analisi ad interim hanno rivelato che non vi era alcuna evidenza significativa di diminuzione o aumento dei tassi di infezione associati al regime vaccinale, motivo per cui lo studio è stato interrotto. Nonostante l’incapacità di HVTN 702 di riprodurre o amplificare l’efficacia di RV144, è molto utile poter studiare le differenze fra i 2 studi clinici per comprendere le ragioni di risultati così diversi [2]. 5- HVTN 111 (2016-2019) ha adottato un approccio di DNA priming con un booster con gp120 bivalente. Il pri ming con il DNA ha indotto tassi di risposta delle cellule T CD4+ e una risposta neutralizzante significativamente più elevati rispetto all’ALVAC [2].

Nuovi approcci

Il programma di vaccino a mosaico Ad26 sviluppato da Janssen Pharmaceuticals ha combinato vettori virali, booster proteici e sequenze immunogeniche ottimizzati per la crea zione di antigeni polivalenti “a mosaico” per poter affronta re la diversità globale dell’HIV. Questo approccio punta a indurre una risposta dei linfociti T nonché la formazione di anticorpi neutralizzanti [2]. Questo studio di fase 1/2 (AP PROACH) ha testato 7 regimi diversi, che si sono dimostrati sicuri e ben tollerati. A 3 mesi dall’immunizzazione con la seconda dose di priming, in tutti i gruppi è stata rilevata una risposta anticorpale legante gp140 autologo; dopo il primo booster, a 6 mesi, la maggior parte dei gruppi ha mantenuto

70 GdB | Nov/dic 2022 Scienze
© MedstockPhotos/shutterstock.com

una risposta anticorpale del 100% [12]. A partire da questi risultati iniziali sono iniziati altri quattro studi clinici: TRAVERSE e ASCENT (entrambi studi di fase 1/2a), IM BOKODO (studio di fase 2b che dovrebbe fini re nel 2022) e MOSAICO (studio di fase 3 iniziato nel 2019) [2].

Vaccini a mRNA

In seguito al sorpren dente successo dei vac cini a mRNA per SARSCoV-2 la ricerca per lo sviluppo di un vaccino a mRNA per l’HIV ha ac quisito nuovo slancio. Il concetto dietro questo tipo di vaccini è sempli ce: una volta identificato l’antigene scelto del patogeno bersaglio, il gene viene se quenziato e clonato per creare un plasmide stampo di DNA (pDNA). Successivamente, questo pDNA circolare viene ta gliato con un enzima di restrizione per ottenere una molecola lineare a singolo filamento che potrà essere trascritta in vitro utilizzando un enzima RNA polimerasi DNA-dipendente. La molecola di pDNA verrà quindi degradata da una Dnasi. A questo punto l’mRNA viene purificato per rimuovere i com ponenti di reazione come enzimi, DNA stampo rimanente e trascrizioni anormali. In vivo, il vaccino a mRNA imiterà un’infezione virale utilizzando le cellule dell’ospite per tra durre l’mRNA (come farebbe il virus stesso), innescando po tenti risposte immunitarie umorali e cellulari [1].

Adattabilità e rapidità: l’antigene può essere espresso come citoplasmatico, secreto o legato alla membrana sulla base delle sequenze di segnale aggiunte, questo permette di migliorare l’efficienza di presentazione dell’antigene e le ri sposte immunitarie cellulari. Poiché è interamente sintetico, quasi tutte le sequenze potrebbero essere progettate, sintetiz zate e testate in vivo in un breve lasso di tempo [1].

Sicurezza: poiché questi vaccini sono non infettivi e non integranti non vi è rischio di infezione o mutagenesi inser zionale. Tuttavia, le impurità potrebbero attivare risposte immunitarie innate non specifiche o indesiderate ed è fonda mentale avere un RNA altamente purificato [1, 13].

Tipi di vaccini a mRNA

I vaccini a mRNA possono essere classificati in vaccini

autoamplificanti (SAM) e vaccini non replicanti. I vaccini SAM codificano non solo per l’antigene ma anche per i pro pri accessori della replicazione, di conseguenza non hanno bisogno di alcun macchinario per replicare il loro RNA una volta entrati nelle cellule [1, 6]. I vaccini non replicanti sono la forma più semplice del vaccino a mRNA e comprendono semplicemente l’antigene codificato come mRNA che viene iniettato nelle cellule [1, 6].

Modalità di somministrazione

Il metodo di somministrazione del vaccino svolge un ruolo importante nell’assorbimento dell’mRNA e influisce sulla risposta complessiva delle APC (cellule presentanti l’antigene) al vaccino. La criticità di questo aspetto è legata all’estrema instabilità di una molecola di mRNA libera. 1- RNA nudo: utilizzare molecole di mRNA semplici non è un metodo ottimale per ottenere una risposta immunita ria e sono spesso necessarie quantità più elevate rispetto ad altri metodi. Tuttavia, questa strategia sembra essere pro mettente nel caso in cui il vaccino sia iniettato direttamen te nei linfonodi. Questo rende il processo di captazione e presentazione dell’antigene molto più efficace in quanto nei linfonodi l’mRNA verrà captato dalle cellule dendritiche in loco [14].

2- Vaccinazione con cellule dendritiche: un metodo molto efficace è quello di utilizzare le cellule dendritiche del pa ziente in quanto ottime APC. L’mRNA estraneo può essere somministrato alle cellule dendritiche mediante elettropo razione o lipofezione, ed esse saranno successivamente tra sferite nel paziente [14].

3- RNA formulato: un vaccino a mRNA può anche essere somministrato tramite carrier cationici. La loro carica posi tiva permette il legame con le molecole di mRNA (cariche negativamente). L’mRNA formulato con carrier può resi stere alla degradazione da parte delle nucleasi extracellulari migliorando l’uptake da parte delle APC [14]. Un esempio sperimentale di questi vettori sono le nanoparticelle lipidi che (LNP) composte da lipidi ionizzabili, che migliorano l’assorbimento del vaccino con effetti tossici minimi. I vac cini a mRNA per SARS-CoV-2 hanno dimostrato l’efficacia degli LNP come sistema di somministrazione. Purtroppo questo sistema non è ancora stato testato in studi clinici su vaccini per l’HIV [1].

Sviluppo di vaccini a mRNA contro HIV

Molti studi preclinici su vaccini a mRNA per l’HIV sono stati pubblicati anche se, fino ad oggi, molti di questi esperi menti sono falliti. Gli studi con AGS-004 (fase I o II) hanno usato cellule dendritiche elettroporate con RNA codifican te per CD40L e Gag, Vpr, Rev e Nef. In questi studi i tratta menti sono risultati sicuri e hanno indotto una forte espan sione di linfociti T citotossici (CTL) specifici contro HIV, tuttavia essi non hanno avuto un impatto sulla viremia [14].

71 GdB | Nov/dic 2022 Scienze

Gli studi con iHIVARNA-01 (fase I o II) sfruttano la tecno logia dell’RNA nudo. Questo vaccino consiste in TriMix: un mRNA composto più HIVACAT, immunogeno delle cellule T (HTI). Anche in questo caso i trattamenti sono stati sicuri e ben tollerati e il vaccino ha indotto risposte immunita rie specifiche per l’HIV. Tuttavia, tutti i partecipanti hanno avuto un rimbalzo della carica virale dopo una mediana di 2 settimane [14].

Quali sono i vantaggi dei vaccini a mRNA rispetto alle sfi de nel produrre bnAb?

Sfida numero 1: i linfociti B che esprimono i bnAb ven gono generati raramente o sopravvivono con difficoltà. Vantaggio: una strategia chiave per l’attivazione di cellule B rare o anergiche è quella di fornire immunogeni che si ano il più possibile simili a quelli natvi. I vaccini tradizio nali forniscono immunogeni come un bolo di proteine che saranno soggette a degradazione. Al contrario, i vaccini a base di mRNA inducono la produzione di immunogeni in situ per settimane, aumentando la possibilità che rari linfo citi B precursori di bnAb si attivino e proliferino [6]. Sfida numero 2: la generazione di bnAb richiede alti livelli di mu tazioni somatiche improbabili. Vantaggio: una caratteristica dei vaccini a mRNA, specialmente quelli somministrati per mezzo di LNP, è l’induzione di potenti risposte anticorpali attraverso i centri germinali [6]. Sfida numero 3: l’induzio ne di bnAb mediante vaccinazione richiede immunizzazioni sequenziali. Vantaggio: l’immunizzazione sequenziale pre senta una complessità intrinseca legata non solo alla neces sità di identificare e testare diversi immunogeni, ma anche di produrli. In questo i vaccini a mRNA presentano chiari vantaggi rispetto agli altri perché il loro processo di produ zione è più rapido, semplice ed efficace [6]. Sfida numero 4: sia le risposte dei bnAb che dei linfociti T CD8+ potreb bero essere necessari per una protezione ottimale dall’infe zione da HIV. Vantaggio: i vaccini a mRNA sembrano avere il potenziale per indurre risposte immunitarie sia umorali che cellulari [6].

Conclusioni

I punti chiave da tenere in cosiderazione per lo sviluppo di un vaccino a mRNA sono: 1- il corretto design dell’immunogeno per ottenere risposte CTL ampie e forti che includa pertanto epitopi che pren dano di mira le proteine virali nelle regioni conservate per limitare la fuga immunitaria [14].

2- il giusto equilibrio tra l’attività immunostimolatoria del vaccino e la sintesi proteica, poiché è possibile sovrastimo lare i recettori innati del sistema immunitario portando alla distruzione delle proteine [1].

3- Il ruolo degli adiuvanti, in grado di migliorare l’efficacia della vaccinazione. Selezionare la giusta nano-formulazione per un vaccino è una sfida difficile, poiché sono stati de

scritti centinaia di composti diversi. Per aggiungere ulteriore complessità, alcuni dei migliori composti funzionanti sono stati brevettati dalle aziende, quindi il loro uso potrebbe non essere disponibile per nessun nuovo vaccino [1]. Nonostante l’entusiasmo recente rimangono ancora mol te sfide e domande aperte per lo sviluppo di un vaccino a mRNA contro l’HIV, tuttavia ad oggi, le caratteristiche di questi vaccini, li rendono una piattaforma privilegiata nel tentativo di sviluppare un vaccino efficace contro l’HIV.

Bibliografia

1- Khalid K, et al. HIV and Messenger RNA (mRNA) Vaccine. Cureus. 2021 Jul 5;13(7):e16197. doi: 10.7759/cureus.16197.

2- Kim J, et al. Current approaches to HIV vaccine development: a narrative review. J Int AIDS Soc. 2021 Nov;24 Suppl 7(Suppl 7):e25793. doi: 10.1002/jia2.25793.

3- Fanales-Belasio E, et al. HIV virology and pathogenetic mechanisms of infection: a brief overview. Ann Ist Super Sanita. 2010;46(1):5-14. doi: 10.4415/ANN_10_01_02.

4- Hu WS, et al. HIV-1 reverse transcription. Cold Spring Harb Perspect Med. 2012 Oct 1;2(10):a006882. doi: 10.1101/cshper spect.a006882.

5- Gaschen B, et al. Diversity considerations in HIV-1 vaccine se lection. Science. 2002 Jun 28;296(5577):2354-60. doi: 10.1126/ science.1070441. PMID: 12089434.

6- Mu Z, et al. HIV mRNA Vaccines-Progress and Future Paths. Vaccines (Basel). 2021 Feb 7;9(2):134. doi: 10.3390/vacci nes9020134.

7- Haynes BF, et al. HIV-Host Interactions: Implications for Vac cine Design. Cell Host Microbe. 2016 Mar 9;19(3):292-303. doi: 10.1016/j.chom.2016.02.002.

8- Wiehe K, et al. Functional Relevance of Improbable Antibody Mutations for HIV Broadly Neutralizing Antibody Development. Cell Host Microbe. 2018 Jun 13;23(6):759-765.e6. doi: 10.1016/j. chom.2018.04.018.

9- Andrabi R, et al. Strategies for a multi-stage neutralizing anti body-based HIV vaccine. Curr Opin Immunol. 2018 Aug;53:143151. doi: 10.1016/j.coi.2018.04.025.

10- Korber B, et al. T cell-based strategies for HIV-1 vacci nes. Hum Vaccin Immunother. 2020 Mar 3;16(3):713-722. doi: 10.1080/21645515.2019.1666957.

11- Cohn LB, et al. The Biology of the HIV-1 Latent Reservoir and Implications for Cure Strategies. Cell Host Microbe. 2020 Apr 8;27(4):519-530. doi: 10.1016/j.chom.2020.03.014.

12- Barouch DH, et al. Evaluation of a mosaic HIV-1 vaccine in a multicentre, randomised, double-blind, placebo-controlled, pha se 1/2a clinical trial (APPROACH) and in rhesus monkeys (NHP 13-19). Lancet. 2018 Jul 21;392(10143):232-243. doi: 10.1016/ S0140-6736(18)31364-3.

13- Zhang C, et al. Advances in mRNA Vaccines for Infectious Diseases. Front Immunol. 2019 Mar 27;10:594. doi: 10.3389/fim mu.2019.00594.

14- Esteban I, et al. In the Era of mRNA Vaccines, Is There Any Hope for HIV Functional Cure? Viruses. 2021 Mar 18;13(3):501. doi: 10.3390/v13030501.

72 GdB | Nov/dic 2022
Scienze

Possibili bersagli terapeutici per l’adenocarcinoma polmonare

L’attivazione del sistema del complemento da parte di autoanticorpi contro il recettore postsinaptico dell’acetilcolina (AChR) porti alla distruzione della membrana postsinaptica e all’interruzione della trasmissione neuromuscolare di Cinzia Boschiero

In uno studio pubblicato di recente sulla rivista “Journal for ImmunoTherapy of Cancer” (JITC) si evidenzia come siano stati individuati dei geni, associati a cellule del sistema immunitario presenti nei versamenti pleurici, che sono potenziali bersa gli strategici di terapia per l’adenocarcinoma polmonare. I gruppi di ricerca di Rita Mancini della Sapienza Univer sità di Roma e di Matteo Pallocca e Maurizio Fanciulli, dell’IRCCS Istituto Nazionale Tumori Regina Elena (IRE) hanno studiato i versamenti pleurici di pazienti affetti da adenocarcinoma, per scoprire meglio i segreti della malat tia metastatica. I versamenti pleurici sono una condizione patologica che si verifica quando le cellule neoplastiche in vadono la cavità pleurica, con conseguente accumulo ano malo di liquido di tipo essudativo.

“Nello studio”, hanno sottolineato i ricercatori Mat teo Pallocca e Maurizio Fanciulli,” abbiamo scoperto una firma molecolare associata ai macrofagi, specifiche cellule del sistema immunitario, presenti in abbondanza nei ver samenti pleurici in cui alimentano la crescita tumorale”. I risultati hanno un rilevante rilievo clinico in quanto indi viduano una nuova via allo sviluppo di terapie mirate spe cificamente ai macrofagi pro-tumorali, bloccando i segnali che ne permettono la localizzazione a livello del tumore. Il tumore del polmone è ancora presente nel mondo con una incidenza elevata e l’adenocarcinoma è il sottotipo istolo gico più comune. L’introduzione dei moderni approcci di immunoterapia, che mirano a riattivare le cellule del siste ma immunitario contro le cellule neoplastiche, ha iniziato a cambiare il panorama terapeutico per diversi tipi di tu more.

Tuttavia, il tasso di risposta è ancora basso e solo il 20-30% dei pazienti beneficiano dei trattamenti di im munoterapia. Questa ricerca ha consentito di esplorare il microambiente tumorale e le sue componenti essenziali al fine di identificare nuovi bersagli terapeutici e sviluppare terapie di combinazione. In quest’ ottica i versamenti che

nella routine clinica vengono drenati dai pazienti a scopo terapeutico-palliativo, contengono lesioni metastatiche fa cilmente accessibili con metodi non troppo invasivi. Sono inoltre utili per studiare in laboratorio le interazioni tra cel lule all’interno del microambiente tumorale, assai più diffi cili da osservare in altri tipi di contesti metastatici. L’arruo lamento dei pazienti è stato possibile grazie ad uno studio multicentrico e alla collaborazione delle Divisioni di Chi rurgia Toracica e la Pneumologia presso l’Azienda Ospeda liero Universitaria Sant’Andrea ed il Policlinico Umberto I (Sapienza Università di Roma), dirette rispettivamente da Erino Angelo Rendina, Alberto Ricci e Federico Venuta, e dell’Unità di Chirurgia Toracica dell’IRE, diretta da Fran cesco Facciolo.

Gli inibitori del checkpoint immunitario non sono an cora in grado di fornire benefici clinici alla grande maggio ranza dei pazienti con carcinoma polmonare non a piccole cellule (NSCLC). Una caratterizzazione più approfondita del microambiente immunitario tumorale (TIME) dovreb be far luce sui meccanismi di evasione immunitaria del cancro e sulla resistenza all’immunoterapia. I ricercato ri evidenziano di aver sfruttato i versamenti pleurici ma ligni (MPE) da pazienti con adenocarcinoma polmonare (LUAD) come sistema modello per decifrare il TEMPO nel NSCLC metastatico. Spiegano: “L’analisi trascrittomi ca delle cellule immunitarie e l’analisi del citochinome dei fattori solubili nel liquido pleurico hanno rappresentato le MPE come una nicchia metastatica in cui sono presenti tutti i componenti necessari per un’efficace risposta anti tumorale, ma arruolati in una modalità di guarigione delle ferite, proinfiammatoria e di supporto del tumore.

L’analisi di deconvoluzione bioinformatica ha rivelato un paesaggio immunitario dominato da sottoinsiemi mie loidi con prevalenza di monociti, macrofagi protumorali e mastociti attivati. Concentrandoci sui macrofagi, abbia mo identificato una firma distintiva degli MPE associata a un peggiore esito clinico nei pazienti con LUAD. Gli

73 GdB | Nov/dic 2022 Scienze

inibitori del checkpoint immunitario non sono ancora in grado di for nire benefici clinici alla grande maggioranza dei pazienti con carcinoma polmonare non a pic cole cellule (NSCLC). Una caratterizzazione più approfondita del microambiente im munitario tumorale (TIME) dovrebbe far luce sui meccanismi di evasione immunitaria del cancro e sulla resi stenza all’immunote rapia. Qui, abbiamo sfruttato i versamenti pleurici maligni (MPE) da pazienti con adeno carcinoma polmonare (LUAD) come sistema modello per decifrare il TEMPO nel NSCLC metastatico”.

Il microambiente immunitario tumorale (TIME) è un elemento chiave nel determinare la resistenza all’immuno terapia con inibitori del checkpoint immunitario. I versa menti pleurici maligni (MPE), una condizione patologica associata al 30% dei casi di cancro del polmone non a piccole cellule, rappresentano una finestra facilmente ac cessibile sulla malattia metastatica. Utilizzando MPE e campioni di sangue direttamente derivati da pazienti con adenocarcinoma polmonare (LUAD) e sfruttando l’anali si del citochinome e i dati trascrittomici combinati con un approccio basato sulla deconvoluzione immunitaria, questo studio ha fornito una caratterizzazione profonda dei com ponenti cellulari e solubili del microambiente degli MPE. La principale novità dei risultati di questo studio risiede nell’identificazione negli MPE di un citochinoma che ali menta l’infiltrazione dei monociti e la polarizzazione del macrofago protumorale (M ϕ ) e di una nuova firma dei geni M ϕ associata a una prognosi sfavorevole in LUAD. Questo studio mette in evidenza il coinvolgimento del comparti mento mieloide nel contesto di LUAD TIME e fornisce una solida base per l’identificazione di nuovi bersagli per il trat tamento della malattia metastatica.

L’immunoterapia sta rivoluzionando la gestione clinica del carcinoma polmonare non a piccole cellule (NSCLC), principalmente attraverso l’introduzione di inibitori del checkpoint immunitario (ICI). Tuttavia, nonostante le ri sposte a lungo termine precedentemente impreviste nella malattia avanzata siano state ottenute in un sottogruppo di pazienti, l’ostacolo principale rimane la mancanza di effica

cia nella stragrande maggioranza dei casi.

L’implicazione del TEMPO come elemento chiave che determina la resistenza all’immunoterapia con ICI è ora ampiamente apprezzata. Inoltre, è stato riscontrato che il coinvolgimento metastatico delle cavità pleuriche e peri toneali è associato a un peggiore esito di ICI nei pazienti oncologici. In questo contesto, gli ultimi anni sono stati testimoni di una serie di studi che riportano una caratte rizzazione completa del paesaggio immunitario tumorale nel NSCLC dalla malattia precoce a quella avanzata. Nel lo studio spiegano i ricercatori: “Abbiamo eseguito una caratterizzazione approfondita delle cellule immunitarie e dei fattori solubili da MPE e sangue periferico di pazienti con LUAD per indagare il TEMPO di NSCLC avanzato in un ambiente metastatico più facilmente accessibile di altri e, a nostra conoscenza, ancora poco esplorato. Sebbe ne le cellule T siano state l’obiettivo principale dell’immu noterapia del cancro, le cellule mieloidi mostrano fenotipi e funzioni specifici che potrebbero avere un impatto sulla progressione del cancro e sulla risposta all’immunotera pia”. Per completezza di informazione su questa patologia si evidenzia che sono aperti diversi bandi del program ma comunitario denominato EU4Health relativi ai tumori e che includono la malattia che in questo studio è stata studiata (rif. https://ec.europa.eu/info/funding-tenders/ opportunities). I fondi sono gestiti da Hadea, l’Agenzia esecutiva europea per la salute e il digitale.

Ci sono otto cosiddetti topic ben distinti, ciascuno con obiettivi e azioni specifiche, un budget dedicato e docu mentazione specifica per la preparazione della proposta progettuale. In particolare, si segnala il topic (rif. EU4H-

74 GdB | Nov/dic 2022 Scienze
© David A Litman/shutterstock.com

2022-PJ-01) che cofinanzia progetti per monitorare e raf forzare l’attuazione di approcci innovativi allo screening del cancro alla prostata, ai polmoni e allo stomaco a livello di Unione europea. Si punta a fornire agli Stati membri dell’Unione europea conoscenze basate sull’evidenza da trasferire per progettare, pianificare e implementare ulte riormente gli screening del cancro alla prostata, ai polmoni e allo stomaco. Gli approcci metodologici saranno allineati e coordinati con le linee guida europee e i sistemi di garan zia della qualità per i tumori al seno.

Sono previsti pertanto dei cofinanziamenti per attività ad esempio di sostegno all’ottimizzazione del trasferimen to di conoscenze, alla migliore comprensione dei bisogni e progettazione, alla pianificazione e sviluppo di possibili opzioni per l’attuazione futura di screening mirati sui tu mori della prostata, del polmone e dello stomaco; misure per colmare le lacune di conoscenza esistenti e per met tere a punto e migliorare gli approcci degli Stati membri dell’Unione europea alla diagnosi precoce del cancro alla prostata, ai polmoni e allo stomaco; progetti di sostegno all’allineamento e alla coerenza di una serie di requisiti di base attualmente trattati in modo frammentario negli Stati membri dell’Unione Europea. Si vuole in tal modo raffor zare con progetti pilota la cooperazione paneuropea, con un’attenzione particolare all’affrontare questioni ancora aperte, compreso il rapporto costi-benefici, l’equilibrio ot timale beneficio-danno e il potenziale impatto sulla disu guaglianza sanitaria dei programmi di screening del cancro alla prostata, al polmone e gastrico, compresa l’identifica zione di meccanismi di finanziamento appropriati.

Possono presentare progetti istituzioni accademiche, educative, istituti di ricerca, autorità sanitarie nazionali e regionali che si occupino di programmi di screening del

cancro, ospedali, organizzazioni della società civile quali associazioni, fondazioni, ong, fondazioni, reti di esperti e reti consolidate nel campo della salute pubblica. Ogni progetto deve essere presentato da un singolo proponente con più partners. Sono stati messi a budget in totale dieci milioni di euro per ciascuna tipologia di tumore e sarà cofi nanziato un progetto per ogni tipologia, pertanto, il bando ammonta in totale come importo a trenta milioni di euro. Mentre per il cosiddetto topic 2 (rif. EU4H-2022-PJ-02) si punta a prevenire le malattie non trasmissibili e altre malattie non trasmissibili che siano diverse dalle malattie cardiovascolari e dal diabete che hanno altri fondi europei a disposizione. L’obiettivo è ridurre l’onere delle malattie non trasmissibili, concentrandosi su malattie diverse da quelle contemplate nei cinque filoni d’azione del documen to Healthier Together – EU NCD Initiative (malattie car diovascolari, diabete, malattie respiratorie croniche, salute mentale e disordini neurologici) e dal cancro (ad esempio, malattie renali ed epatiche, malattie autoimmuni, patolo gie muscolo-scheletriche ecc.), aumentando la consapevo lezza, condividendo conoscenze e costruendo capacità per migliorare la salute pubblica, soprattutto a livello locale.

Potranno essere cofinanziate attività quali il trasferi mento di pratiche e approcci promettenti, che contribui scano ad affrontare l’onere di questa categoria di malattie. Potranno essere supportati finoa sette progetti e vi potran no aderire ong, quali associazioni, gruppi di professioni sti e di pazienti per attività mirate. Si intende integrare gli sforzi degli Stati membri dell’Unione Europea nella pro gettazione, pianificazione e attuazione delle migliori prati che, compreso il sostegno alla definizione di linee guida di salute pubblica e linee guida sanitarie, per la preparazione e il lancio di nuovi approcci politici, la sperimentazione

75 GdB | Nov/dic 2022 Scienze
© Nemes Laszlo/shutterstock.com

pilota di pratiche innovative e azioni di sostegno come la formazione e il gemellaggio, la comunicazione sanitaria o l’alfabetizzazione sanitaria.

Possono presentare un progetto organizzazioni della società civile quali associazioni di professionisti sanitari, organizzazioni di pazienti, ong, fondazioni, consorzi. Il to pic ha un importo totale di cinque milioni di euro. Il terzo topic (rif. EU4H-2022-PJ-03) punta a promuovere la salute mentale. Ha come obiettivo il voler aumentare la consape volezza, la generazione e condivisione di conoscenze e il rafforzamento delle capacità nell’area della salute menta le. Possono essere cofinanziati progetti, ad esempio, per lo scambio e l’attuazione delle migliori pratiche e l’attuazione di attività che aumentino la consapevolezza, la condivisione delle conoscenze e il supporto alla formazione degli opera tori sanitari relativamente alle patologie mentali.

In particolare, il sottotema 1 concerne progetti per im plementare la migliore pratica (Icehearts) al fine di miglio rare le capacità di vita e le risorse sociali, psicologiche ed emotive in bambini e adolescenti socialmente vulnerabili; mentre il sottotema 2 intende implementare la migliore pratica (Let’s Talk about Children) a sostegno della salute mentale e del benessere dei giovani e delle loro famiglie nei gruppi vulnerabili. Possono inoltrare proposte di progetti università, centri di ricerca, istituzioni accademiche ed edu cative, associazioni professionali sanitarie e sociali, scuole, fondazioni. Ogni proposta progettuale deve essere presen tata da un consorzio di minimo cinque organismi con sede legale in cinque diversi Stati ammissibili dal bando.

Ogni consorzio deve comprendere almeno una ong attiva nel campo della salute mentale a livello di Unione europea e almeno una ong che operi nel settore della gio ventù e/o rappresenti i giovani. Il topic 3 ha un budget to tale che ammonta a otto milioni di euro di cui quattro per ogni sottotema sopracitato. Si segnala anche che l’Autorità europea per la preparazione e la risposta alle emergenze sanitarie (HERA) ha invitato i rappresentanti della società civile e dell’industria a unirsi al forum della società civile e al forum congiunto per la cooperazione industriale, i due nuovi gruppi di esperti del forum consultivo HERA (link https://ec.europa.eu/health/health-emergency-prepared ness-and-response-hera/advisory-forum_en) per stimolare la collaborazione pubblico-privato e per individuare e af frontare le sfide del mercato. La ricerca su questa patologia insieme ad altre può ottenere fondi europei con progetti in cui si coinvolgano anche le associazioni dei pazienti. Ad esempio l’associazione Tu.To.R. Onlus, costituita nel 2017, partecipa a bandi europei ed ha l’obiettivo di fornire un aiuto concreto a tutti coloro che si trovano ad affrontare le problematiche di un tumore toracico raro, come il timoma e il carcinoma timico ed è l’unica associazione di pazienti con tumori toracici rari In Italia e in Europa; collabora at tivamente con la società scientifica TYME (www.tyme.eu),

che costituisce il comitato scientifico nello Steering Com mittee e con rappresentanti nei working group Registri e Ricerca.

Fa parte di EURACAN ERN, rete europea dei tumori rari solidi dell’adulti. La Commissione europea, infatti, sia con bandi Horizon Europe, che Horizon 2020 ribadisce che è fondamentale cooperare. Peraltro, da sempre, i ri cercatori cooperano e condividono dati a livello europeo ed internazionale, con anche teleconsulti on line su casi specifici di pazienti complessi. Tutti i dati della ricerca dell’IRCCS Istituto Nazionale Tumori Regina Elena (IRE) sono disponibili su richiesta. Tutti i dati elaborati (com presi i livelli di espressione di RNA-seq) presentati in que sto studio e tutte le visualizzazioni e gli script di analisi (R V.4.1.0) sono disponibili nel repository https://gitlab. com/bioinfo -ire-release/bruschini_pallocca_etal. Questo studio è stato sostenuto dall’Associazione Ita liana per la Ricerca sul Cancro (AIRC), Ministero della Sa lute, Lazio Innova. SB ha ricevuto un finanziamento borsa di dottorato dal Ministero dell’Istruzione, dell’Università e della Ricerca (MIUR), Italia, PON-FSE-FESR-Ricerca e Innovazione 2014-2020 per gli studi di dottorato con ca ratterizzazione industriale 2017. In Europa, si stima che il cancro al polmone sia il secondo tumore più diffuso e la principale causa di mortalità correlata al cancro, respon sabile di 388.000 decessi nel 2018. Le mutazioni nelle vie del segnale di MET, comprese le alterazioni che causano skipping di METex14, si registrano nel 3-4% dei casi di NSCLC e sono associate a una malattia avanzata e una prognosi sfavorevole. La Commissione Europea di recente si ricorda che ha approvato tepotinib come monoterapia orale con singola somministrazione giornaliera per il trat tamento di pazienti adulti con carcinoma polmonare non a piccole cellule (NSCLC) avanzato, con mutazioni ge netiche che causano skipping dell’esone 14 del fattore di transizione mesenchimale epiteliale (METex14) e che ri chiedono una terapia sistemica a seguito di un trattamento precedente con immunoterapia e/o chemioterapia a base di platino. L’approvazione si basa sui risultati dello studio di Fase II VISION, che valuta tepotinib come trattamento orale in monoterapia per pazienti con NSCLC avanzato con mutazioni associate a skipping di METex14.

I dati dell’analisi primaria dello studio VISION sono stati precedentemente pubblicati online su The New En gland Journal of Medicine. Si segnala anche il progetto europeo I3LUNG, finanziato con fondi Horizon, in cui è coinvolta la Fondazione IRCSS Istituto Nazionale dei Tumori di via venezian a Milano. Spiegano che: si tratta di un’iniziativa di ricerca nell’ambito del tumore al polmone che mira a creare uno strumento decisionale all’avanguar dia che aiuterà sia i medici che i loro pazienti a selezionare la migliore scelta terapeutica, sia per efficacia che come risposta ai loro specifici bisogni e necessità. Il progetto

76 GdB | Nov/dic 2022 Scienze

utilizzerà l’intelligenza artificiale (AI), in particolare le me todologie dette di apprendimento profondo e approfon dimento automatico (Deep Learning e Machine Learning) per analizzare la grande quantità di informazioni disponi bili per questa tipologia di tumore, ad oggi non utilizzate al loro pieno potenziale. Verranno raccolte le caratteristi che cliniche, le immagini radiologiche e le caratteristiche del tumore già disponibili per duemila pazienti arruolati in studi clinici nei centri partecipanti al progetto. Verranno in parallelo generati dati biologici “multiomici” comprenden ti il carico mutazionale del tumore, l’analisi del microbioma intestinale, il profilo di espressione immunitario tumorale e circolante, ma anche la metabolomica in duecento pazienti arruolati in uno studio prospettico comune ai centri clinici coinvolti. In questo progetto sono coinvolti 6 centri clinici di eccellenza che si occupano della cura del tumore polmo nare in tutto il mondo (Italia, Germania, Spagna, Grecia, Israele, USA).

Il tumore al polmone è stata la prima causa di morte per cancro negli uomini e la seconda nelle donne nel 2021, con 370.000 ogni anno in Europa. Il consorzio ha sviluppato questo progetto per rispondere a una delle problematiche principali nel campo del tumore polmonare al giorno d’og gi: la mancanza di biomarcatori che predicano la risposta al trattamento basato sull’immunoterapia (IO) nei pazienti con tumore metastatico al polmone non a piccole cellule (mNSCLC). L’IO ha rivoluzionato il trattamento dei pa zienti mNSCLC e viene ora offerto in prima linea come singola terapia o in combinazione con la chemioterapia standard per i pazienti privi di mutazioni specifiche per cui esistono farmaci mirati. Sedici tra le migliori organiz zazioni europee e internazionali sono incluse nel consor zio I3LUNG: Fondazione IRCCS Istituto Nazionale dei Tumori (INT, Milano, Italia) con la Dott.ssa Arsela Pre laj nel ruolo di coordinatrice del Consorzio, Politecnico di Milano (POLIMI, Milano, Italia), Istituto di Ricerche Farmacologiche Mario Negri (IRFMN, Milano, Italia), Istituto Europeo di Oncologia (IEO; Milano, Italia), ML Cube (Milan, Italy), LungenClinic Grosshansdorf GmbH (GHD, Grosshansdorf, Germania), Universitaetsklinikum Hamburg-Eppendorf (UKE, Amburgo, Germania), Vall d’Hebron Institute of Oncology (VHIO, Barcellona, Spa gna), Medica Scientia Innovation Research (MEDSIR, Bar cellona, Spagna & New Jersey, USA), Metropolitan Ho spital (MH, Pireo, Grecia), Shaare Zedek Medical Center (SZMC, Gerusalemme, Israele), Katholieke Universiteit Leuven (KUL, Leuven, Belgio), Institutet for Halso-OCH Sjukvardsekonomi Aktiebolag (IHE, Lund, Svezia), Uni versity of Chicago (UOC, Chicago, USA), Aalborg Uni versitet (AAU, Aalborg, Danimarca), Lung Cancer Europe (LUCE, Bern, Svizzera).

I3LUNG e i suoi partner avranno un orizzonte tempo rale di cinque anni e un budget di dieci milioni di euro.

Bibliografia

• Zhang Y, Zhang Z, . The history and advances in cancer immu notherapy: understanding the characteristics of tumor-infiltrating immune cells and their therapeutic implications. Cell Mol Immunol 2020;17:807–21.doi:10.1038/s41423-020-0488-6pmid:http://www. ncbi.nlm.nih.gov/pubmed/32612154-PubMedGoogle Scholar

• Doroshow DB, Sanmamed MF, Hastings K, et al. Immunotherapy in non-small cell lung cancer: facts and hopes. Clin Cancer Res 2019;25:4592–602.doi:10.1158/1078-0432.CCR-18-1538pmid:http:// www.ncbi.nlm.nih.gov/pubmed/30824587

Abstract/FREE Full TextGoogle Scholar

• Langer CJ, Gadgeel SM, Borghaei H, et al. Carboplatin and peme trexed with or without pembrolizumab for advanced, non-squamous non-small-cell lung cancer: a randomised, phase 2 cohort of the open-label KEYNOTE-021 study. Lancet Oncol 2016;17:1497–508. doi:10.1016/S1470-2045(16)30498-3pmid:http://www.ncbi.nlm.nih. gov/pubmed/27745820

• Faivre-Finn C, Vicente D, Kurata T, et al.. Four-Year survival with Durvalumab after chemoradiotherapy in stage III NSCLCan update from the Pacific trial. J Thorac Oncol 2021;16:860–. doi:10.1016/j.jtho.2020.12.015pmid:http://www.ncbi.nlm.nih.gov/ pubmed/33476803

• Patil NS, Nabet BY, Müller S, et al. Intratumoral plasma cells predict outcomes to PD-L1 blockade in non-small cell lung cancer. Cancer Cell 2022;40:289–300.doi:10.1016/j.ccell.2022.02.002 pmid:http:// www.ncbi.nlm.nih.gov/pubmed/35216676

• Datta M, Coussens LM, Nishikawa H, et al. Reprogramming the tumor microenvironment to improve immunotherapy: emerging strategies and combination therapies. Am Soc Clin Oncol Educ Book 2019;39:165–:http://www.ncbi.nlm.nih.gov/pubmed/31099649

• Lavin Y, Kobayashi S, Leader A, et al. Innate immune landscape in early lung adenocarcinoma by paired single-cell analyses. Cell 2017;169:750–http://www.ncbi.nlm.nih.gov/pubmed/28475900

• Cassetta L, Fragkogianni S, Sims AH, et al. Human tumor-as sociated macrophage and monocyte transcriptional landscapes reveal cancer-specific reprogramming, biomarkers, and therapeutic targets. Cancer Cell 2019;35:588–http://www.ncbi.nlm.nih.gov/pub med/30930117

• Bruni D, Angell HK, Galon J. The immune contexture and immuno score in cancer prognosis and therapeutic efficacy. Nat Rev Cancer 2020;20:662–80.doi:10.1038/s41568-020-0285-7pmid:http://www. ncbi.nlm.nih.gov/pubmed/32753728

• Casanova-Acebes M, Dalla E, Leader AM, et al. Tissue-resident macrophages provide a pro-tumorigenic niche to early NSCLC cells. Nature 2021;595:578–84.doi:10.1038/s41586-021-03651-8pmid:ht tp://www.ncbi.nlm.nih.gov/pubmed/34135508

• Penz E, Watt KN, Hergott CA, et al. Management of malignant pleural effusion: challenges and solutions. Cancer Manag Res 2017;9:229–41.doi:10.2147/CMAR.S95663pmid:http://www.ncbi.nlm. nih.gov/pubmed/28694705

• Psallidas I, Kalomenidis I, Porcel JM, et al. Malignant pleural effusion: from bench to bedside. Eur Respir Rev 2016;25:189–98. doi:10.1183/16000617.0019-2016pmid:http://www.ncbi.nlm.nih.gov/ pubmed/27246596

Abstract/FREE Full TextGoogle Scholar

• Lambrechts D, Wauters E, Boeckx B, et al. Phenotype molding of stromal cells in the lung tumor microenvironment. Nat Med 2018;24:1277–89.doi:10.1038/s41591-018-0096-5pmid:http://www. ncbi.nlm.nih.gov/pubmed/29988129

CrossRefPubMedGoogle Scholar.

77 GdB | Nov/dic 2022 Scienze

Le politiche energetiche dell’Europa

La guerra tra Russia e Ucraina ha reso anco ra più evidente la dipendenza energetica dell’Europa dal gas russo. Le conseguenze ti tale dipendenza sulla vita dei cittadini euro pei è sotto gli occhi di tutti. Gli interrogativi più frequenti ch tutti ci poniamo sono :

• in che modo il conflitto cambierà le politiche energetiche in Europa e nel mondo?

• Il conflitto sarà la leva per concretizzare la svolta verso le energie rinnovabili o l’alibi per il revival di carbone e nucleare?

I numeri

L’Europa importa circa il 40% del suo fabbisogno di gas dalla Russia e nel 2021 il 26% di queste forniture è

passato attraverso l’Ucraina, corridoio privilegiato del gas dalla Siberia alla UE. L’Italia è, tra i Paesi europei, quello che fa più ricorso al gas naturale come fonte ener getica (è il 42,5% del mix energetico nazionale): molto più di Francia (17%) e Germania (26%), le quali posso no però contare la prima sul nucleare, e la seconda sul carbone e su un parco di rinnovabili più avanzato del nostro.

In figura 1 sono mostrate le tratte dei gasdotti dalla Russia e la loro portata teorica in miliardi di metri cubi l’anno.

Il gas naturale è un combustibile fossile composto per il 90% da metano (CH4) e per la parte restante da una miscela di idrocarburi e altri gas (azoto, propano, butano, CO2). Questo mix, che si è formato per decom posizione di materiale biologico nell’arco di milioni di anni, si tro va in giacimenti sotto alla superficie terre stre o sotto ai fondali marini, ed è meno in quinante di petrolio e carbone (bruciando produce circa la metà di CO2, meno ossidi di zolfo e particolato rispetto al carbone) pur non rendendolo affatto una fonte di energia pulita.

Il metano infatti è un gas serra che nei primi 20 anni dal suo

Figura 1. Gasdotti dalla Russia

78 GdB | Nov/dic 2022
La dipendenza dell’UE dal gas Russo e gli scenari conseguenti al conflitto con l’Ucraina di Antonella Pannocchia
Scienze

rilascio ha un potere di intrap polare calore come radiazione termica 80 volte più alto di quello dell’anidride carboni ca, anche se rispetto alla CO2 sopravvive meno a lungo in atmosfera (una dozzina d’anni anziché centinaia).

Nelle fasi di estrazione, stoccaggio, trasporto e raffi nazione del gas naturale av vengono perdite dai giacimen ti e dalle reti di distribuzione che si sommano alle emissio ni di metano provenienti da permafrost, agricoltura e al levamenti, dando un grande contributo al riscaldamento atmosferico. Si pensa infatti che a tutt’oggi il metano ab bia contribuito per 0,5 °C al riscaldamento globale che oggi osserviamo di 0.98°C complessivi rispetto all’epoca preindustriale cioè per il 51% circa del riscaldamento globale.

L’Italia consuma all’anno tra i 70 e gli 80 miliardi di metri cubi di gas metano, di cui più di un terzo è impor tato dalla Russia. Per il rapporto tra totale di gas impor tato e il totale dei consumi nazionali il nostro è, insieme alla Germania, uno dei Paesi europei più vulnerabili a un’eventuale interruzione delle forniture di gas dalla Russia (anche se Moldova, Repubblica Ceca, Bielorussia, Slovacchia, pur importando minori quantità di gas ma comprandole tutte dalla Russia sono messi peggio di noi in termini di dipendenza energetica).

Come spiegato dall’ ISPI, (Istituto per gli Studi di Politica Internazionale) , il problema della dipendenza energetica dalla Russia è anche di tipo strutturale e geo grafico: è molto più semplice importare gas attraverso i metanodotti, via tubo, che non via mare con le navi me taniere, che trasportano gas naturale liquefatto.

Per emanciparsi dal potere energetico russo e contra stare la crisi climatica c’è una sola, possibile soluzione nel lungo periodo: ridurre l’utilizzo del gas naturale e realizzare la transizione verso le energie rinnovabili. Tuttavia nel breve periodo potremmo ritrovarci ancora scendere a compromessi con fonti inquinanti. L’Europa si sta muovendo per aumentare l’acquisto di gas natura le liquefatto (GNL o LNG, dall’inglese liquefied natural gas) dai principali produttori che nel 2020 sono stati Sta ti Uniti, Qatar e Australia.

In figura 2: I maggiori Paesi esportatori di gas nel 2020 (miliardi di metri 3 ).

Il GNL è un condensato del gas naturale che permet

te di ridurre il volume della sostanza di 600 volte e stoccarlo e trasportarlo facilmente su navi metaniere e senza bisogno di gasdotti. Una volta a destinazione, prima di essere immesso nella rete di condotte nazio nale, il gas naturale liquefatto deve essere rigassificato, cioè riportato da liquido a gassoso, in impianti appositi (l’Italia ne ha tre in funzione).

Anche se arriva allo stato liquido, si tratta pur sem pre di metano: i costi climatici di questa “toppa” tem poranea ricadrebbero sulla prossima generazione (un neonato di oggi avrà 78 anni nel 2100). Senza contare che negli Stati Uniti il gas naturale viene estratto con il fracking, la frantumazione artificiale delle rocce sot terranee attraverso potenti iniezioni di acqua, sabbia e un mix di sostanze chimiche, al fine di liberare gas e idrocarburi incorporati nelle porosità delle rocce del sottosuolo. Una tecnica che oltre a segnare irreversi bilmente il paesaggio è stata associata ad elevati rischi ambientali e per la salute (inquinamento atmosferico, rilascio di sostanze chimiche pericolose nel terreno e nelle falde, sismicità indotta). Un inverno mite e l’au mento del gas naturale liquefatto importato dovreb bero permettere all’Europa di superare senza troppi scossoni la stagione fredda. Ma l’anno prossimo ci sarà di nuovo un buco energetico da colmare.

La Commissione Europea ha presentato un piano che, per ridurre di due terzi la dipendenza dal gas russo entro fine anno, prevede di diversificare le for niture (importando più GNL e producendo più bio metano, da scarti agricoli e industriali, utilizzando maggiormente anche l’idrogeno che è rinnovabile) e di ridurre l’uso industriale e domestico di combusti bili fossili grazie all’efficienza energetica e alle energie

79 GdB | Nov/dic 2022
Scienze
Figura 2. Europa e gas russo. Principali esportazioni da diversi paesi rispettivamente di oil gas (tramite metanodotto) o gas liquefat to (trasportato via nave) in miliardi di m3

rinnovabili. Dopo l’occasione mancata della pandemia potrebbe essere questa la spinta giusta per rispettare il Green Deal, il piano per rendere l’Europa un continente a emissioni nette zero entro il 2050.

Non è detto che ci si riesca: secondo l’Agenzia inter nazionale dell’energia (IEA), i costi stellari di gas e car bone potrebbero spingere a un riutilizzo delle centrali a carbone europee appena chiuse o destinate a chiusura, o a all’uso di combustibili fossili alternativi (come il petro lio) nelle centrali termoelettriche esistenti. Se così avve nisse potremmo dire addio ai +1,5 °C di riscaldamento che ci servono per evitare la catastrofe climatica.

Intanto il fantasma di un nuovo disastro nucleare in Ucraina non fa desistere dai piani di apertura di nuove centrali nel Vecchio Continente: la Francia ha parlato di rinascita dell’industria nucleare, con sei nuovi reattori da costruire e altri 8 allo studio, e Belgio e Germania, che avevano annunciato l’uscita dal nucleare, hanno fat to dietrofront rinviando lo spegnimento dei loro reatto ri. In figura 3 : % di dipendenza dal gas russo dei diversi paesi.

Nella politica energetica del vecchio continente, lo scontro ha prodotto effetti a cascata impensabili fino a poche settimane fa. Bruxelles, come prima reazione, non ha soltanto confermato la sua scelta “green”, acce lerando gli investimenti verso rinnovabili e l’idrogeno. Ha trovato lo slancio per prendere una decisione acca

rezzata per lungo tempo, ma sempre rimandata: modificare il quadro delle forniture di gas naturale (scelto come combustibile di “transizione” per sosti tuire carbone e nucleare) per recidere il suo cordone ombelicale con la Russia e diminuirne la dipendenza. Nell’aprile dello scorso anno Gazprom - il colosso russo di stato controllato dal Cremlino, primo pro duttore al mondo di gas - sottolineava in una nota al mercato i 65 miliardi di metri cubi esportati in un anno verso l’Europa, livello mai raggiunto ne gli ultimi dieci anni. Tale livello record si sarebbe potuto ulteriormente su perare negli anni succes sivi, quando fosse arrivato il via libera delle authority europee e tedesche al Nord Stream 2, il raddoppio del gasdotto che, passando sotto il Baltico, collega la Russia con la Germania, assicuran do alla UE una fornitura di ulteriori 55 miliardi di metri cubi.

Che la questione sia centrale lo dimostra il fatto che tra le prime sanzioni decise contro Mosca ci sia proprio la “rinuncia” al Nord Stream 2. E questo nonostante l’infrastruttura sia stata fortemente voluta dai tedeschi: Angela Merkel aveva incontrato Putin negli ultimi mesi del suo mandato alla cancelleria per confermare l’ap poggio al progetto, mentre il suo predecessore, il social democratico Gunther Schroeder è stato presidente del consorzio che ha costruito i due gasdotti (di cui fanno parte anche le società tedesche Uniper e Wintershall, l’anglo-olandese Shell e la francese Engie) e stava per essere nominato nel cda di Gazprom.

Tutto quanto è accaduto nel mercato del gas fino a oggi non vale più. In attesa che la diplomazia trovi una strada che consenta di far tacere le armi, la politica ener getica si è trasformata in una guerra condotta con altri mezzi.

Con tali esportazioni la Russia negli ultimi 20 anni ha stretto rapporti con il resto d’Europa che solo fino a una settimana fa sembravano indissolubili. Insomma, con la guerra è come se Putin avesse cominciato a chiudersi i rubinetti da solo. Non solo del gas, ma anche della valu ta pregiata destinata alle casse statali visto che gli idro

80 GdB | Nov/dic 2022 Scienze
Figura 3. Paesi che dipendono dal gas russo. % di fabbisogno di gas per singolo paese coperto con importazioni dalla Russia.

carburi (la Russia è anche il terzo produttore al mondo di petrolio) coprono quasi la metà del budget statale.

Gazprom ha gestito per tutto l’inverno con i flussi de stinati all’esportazione. Da inizio anno, il gas è arrivato nella UE in misura inferiore alle medie. Questo fino agli ultimi giorni che hanno proceduto l’invasione, per poi raddoppiare le quantità una volta scoppiato il conflitto. Da allora, è arrivato copioso. Un andamento a fisarmoni ca che ha tenuto elevato il livello delle quotazioni.

Per non restare al buio o al freddo dell’inverno, l’Eu ropa - per ora - ha bisogno ancora del gas russo. Lo dico no i numeri: negli ultimi anni il colosso di stato Gazprom è tornato a coprire oltre il 40% del fabbisogno comples sivo di gas consumato degli stati membri della UE, per riscaldamento o per la produzione di energia elettrica. È di gran lunga il primo fornitore, visto che i giacimenti norvegesi del Mare del Nord - al secondo posto della classifica - soddisfano oramai non più del 17% dei con sumi totali.

L’addio al metano di Mosca non è tuttavia senza con seguenze. Perché abbandonare il gas russo, significa non solo doversi garantirsi fonti di approvvigionamento alternative. Ma accettare il fatto che il Cremlino possa legarsi economicamente - e dunque politicamente - sem pre di più a Pechino. Non per nulla, proprio nelle ore in cui sono partiti i primi colloqui tra le delegazioni russa e ucraina in Bielorussia, Gazprom ha fatto sapere di aver chiuso in via definitiva l’accordo - annunciato nel dicem bre 2019 - per la costruzione di un gasdotto lungo 3000 chilometri in grado di portare in Cina fino a 55 miliardi di metri cubi di gas all’anno. La stessa quantità garantita dal Nord Stream 1 e 2 verso la Germania, più di cinque volte la capacità del gasdotto Tap. Si chiamerà “Forza della Siberia” ed è il più grande contratto mai sottoscrit to da Gazprom nella sua storia.

Si tratta di un progetto avviato da Mosca proprio per anticipare la strategia energetica europea che ha deciso di uscire definitivamente dai fossili entro il 2050. Trovare partner alternativi a cui spedire il gas ancora per qualche anno, oltre che affidabili pagatori. E Pechino è entrambe le cose, visto che ha fissato l’uscita dai fossili al 2060 e ha un bisogno disperato di gas da sostituire al carbone che sta soffocando le sue megalopoli in una cortina velenosa di CO2.

Fino a che punto si spingerà la politica di autonomia di Bruxelles? E fino a che punto userà l’arma energetica. E, soprattutto, dove trovare le alternative per sostituire il gas russo. Per rispondere, si deve necessariamente par tire dalla scelta politica.

Il cambio di paradigma è stato spiegato dell’Alto rap presentante dell’Ue per la Politica estera, Josep Borrell, al termine del Consiglio europeo di difesa poche settima ne fa: “L’energia non potrà restare fuori da questo con

flitto. Che ci piaccia o meno abbiamo una dipendenza dal gas e dal petrolio russo e la dobbiamo diminuire il prima possibile. Questa riduzione della dipendenza è una politica esistenziale”. Come e con quali conse guenze? “La dipendenza è aumentata nel corso degli anni, mentre dicevamo di volerla ridurre e non abbiamo fatto altro che aumentarla”, ha aggiunto Borrell. “È il momento di ridurla sul serio per mezzo delle rinnova bili e dell’idrogeno, anche se ci saranno turbolenze nel mercato energetico, come succederà e sta succedendo, e aumenteranno i prezzi che verranno pagati dai con sumatori”

La risposta, in ogni caso, non può che partire dalla UE. Che già aveva mosso i primi passi in questa dire zione ancora prima che salisse l’allarme ai confini ucrai ni, all’interno delle discussioni per combattere il caro energia.

Le prime timide proposte ora diventeranno una stra da da percorrere molto più velocemente:

• una politica di acquisti comuni (di non facile rea lizzazione in un settore fortemente liberalizzato)

• infrastrutture comuni

Bruxelles ha già accolto l’idea di un sistema di stoc caggi da gestire tramite un consorzio di operatori (di cui l’italiana Snam sarà uno dei perni nel suo ruolo di leader europeo del trasporto gas). Si tratta di ex giaci menti esausti trasformati in depositi dove immagazzi nare materia prima da utilizzare in caso di emergenza climatica, ma anche per calmierare i prezzi.

Il secondo punto riguarda i gasdotti. L’alternativa alle forniture via tubo è costituita dal Gas Naturale Liquefatto (GLN) che viaggia via nave e, come detto sopra, viene compresso circa 600 volte a temperature bassissime e poi riportato ai volumi originari dai rigas sificatori prima di essere immesso in rete.

I paesi UE disporrebbero anche di una rete adeguata di impianti per aumentare l’afflusso. Sono una ventina gli impianti in attività sulle coste europee: di questi ben sei si trovano in Spagna e uno in Portogallo. Peccato che tra la penisola iberica e la Francia ci sia solo un pic colo gasdotto, insufficiente per le nuove ambizioni di autonomia energetica di Bruxelles. Non a caso, nell’ul tima settimana di febbraio è stato rilanciato il progetto Midcat, un condotto che partendo dal Portogallo arriva in Francia, convogliando il gas in arrivo ai rigassifica tori, ma anche una parte del gas algerino. L’iniziativa è stata del premier portoghese Antonio Costa che ne ha parlato al premier spagnolo Pedro Sanchez e al presi dente francese Emmanuel Macron al termine del Con siglio europeo del 25 febbraio. Poste le basi sul fronte infrastrutture, la UE deve poi trovare alternative al gas russo, senza scordare il sottostante tema economico: il GNL costa sul mercato molto di più del gas russo, per

81 GdB | Nov/dic 2022 Scienze

ché non è legato a contratti di lungo periodo. Proprio per questo motivo, una soluzione di lungo periodo non può che passare da una azione comune europea, una soluzione politica che coinvolga altri governi che fac ciano da garanti con gli operatori. Per esempio, con il Giappone, che ha messo a disposizione sia riserve di gas che di petrolio. Oppure con il Qatar, che rifornisce già i rigassificatori europei (es. quello di Rovigo per l’Italia). Ma ancora più importanti saranno le forniture di GLN americano: gli Usa sono diventati esportatori netti da quando si è sviluppata la tecnologia dello shale gas, che ha di fatto raddoppiato la produzione nazionale.

Subito dopo il lockdown, le navi gasiere in partenza dai “liquefattori” americani hanno preso per lo più la strada dell’Asia, con la Cina in testa, dove i prezzi erano più alti. Con il picco delle quotazioni anche sul mercato europeo, le rotte si sono spostate: a gennaio, c’è stato il record di forniture dagli Usa con 10 miliardi di metri cubi. Il che ha garantito la tenuta degli stoccaggi euro pei: i depositi al momento sono pieni in media nella UE al 29%, con una punta massima in Italia al 39% in Italia.

Come detto, il ruolo della UE sarà fondamentale per una soluzione strutturale. Per l’immediato i singoli paesi dovranno anche un po’ arrangiarsi. Perché se è vero che l’inverno 2021-22 con temperature sopra la media ha contribuito a non svuotare le scorte, gli stoccaggi devo no essere riempiti nuovamente e questo di solito avviene in estate, quando i prezzi tradizionalmente scendono. E siccome le forniture russe potrebbero anche essere so spese da un momento all’altro, bisogna trovare nel bre vissimo periodo una soluzione B. Il governo tedesco, da parte sua, ha varato un provvedimento che assegna 1,5 miliardi a un fondo dedicato per l’acquisto di GLN.

Da parte sua, l’Italia ha varato una strategia che si basa su più pilastri. In parte già anticipata da Mario Dra ghi nel suo intervento indirizzato al Senato del primo marzo: “Le opzioni al vaglio, perfettamente compatibili con i nostri obiettivi climatici, riguardano prima di tut to l’incremento di importazioni di gas da altri fornitori, come l’Algeria o l’Azerbaijan; un maggiore utilizzo dei terminali di gas naturale liquido a disposizione; even tuali incrementi temporanei nella produzione termoelet trica a carbone o petrolio. Se necessario - ha aggiunto - sarà opportuno adottare una maggiore flessibilità sui consumi di gas, in particolare nel settore industriale e quello termoelettrico”.

Come si vede il governo non esclude periodi di “ra zionamento” dell’energia, se sarà necessario. Ma questo si vedrà: da subito, invece, è stato dato mandato a Terna - la società pubblica che gestisce la rete ad alta tensione - di verificare la disponibilità delle sei centrali elettriche a carbone (ma di cui due in Sardegna) ancora in attivi tà ad aumentare la produzione e fino a quanto. Inoltre,

sempre il primo marzo, il ministro degli Esteri è stato in missione ad Algeri - accompagnato dall’amministratore delegato di Eni - per incassare il via libera a maggiori forniture destinate al nostro Paese. In linea con quanto sta già avvenendo da inizio anno: nel mese di febbraio, l’Algeria è diventato il primo fornitore dell’Italia sor passando la Russia (1,7 miliardi di metri cubi contro 1,3 miliardi) mentre al terzo posto è salito l’Azerbaijan.

A San Foca, comune di Melendugno, c’è la così detta “ spiaggia del Tap” (Trans Adriatic Pipeline), il gasdotto che collega l’Italia con l’Azerbaijan. Di questa opera si è detto in questi anni tantissimo, forse anche troppo. Per ché suo malgrado è diventato un simbolo: per gli amanti delle grandi opere, perché sono 870 chilometri di tubo che viaggia anche a 820 metri sotto il mare, un diametro di un metro all’incirca. Si parte dall’Azerbaijan, si passa dalla Turchia, Grecia, Albania, fino all’Italia. Un simbo lo per chi invece le grandi opere le vede come uno stra volgimento, un pericolo, “un’alterazione del paesaggio preesistente”, per citare una formula che viene ripetuta spesso nelle tonnellate di carte fin qui prodotte.

Un simbolo, evidentemente, anche per la politica: • per quella industrialista, che del gasdotto ne ha fatto bandiera di sviluppo e delle proteste, inve ce, logo di becero campanilismo.

• per quella ambientalista, che invece quei malu mori li ha eletti a programma.

Insomma: come spesso succede in Italia, il Tap è stata la sintesi perfetta dell’incapacità tutta italiana di affron tare una questione complessa. Risultato: l’opera è stata inaugurata, funziona ormai da mesi. E la vera importanza della partita si apprezza oggi, quando tutti l’avevano or mai dimenticata. Tap porta in Italia 10 miliardi di metri cubi di gas all’anno. Rappresentavano circa il 10% del nostro fabbisogno ed è importante utilizzare il verbo al passato perché nel frattempo alcune cose sono cambiate.

La diminuzione dei flussi dalla Russia ha cambiato le carte in tavola tant’è che, gli ultimi dati disponibili, par lano del Tap come la porta di ingresso del 14% del gas italiano. Tanto, ma evidentemente ancora troppo poco. Ecco perché, come ha spiegato il presidente del Consi glio, Mario Draghi, la vera partita è quella che riguarda ora il raddoppio dell’opera. Che significa? “Non la co struzione di una nuova infrastruttura” rassicurano subi to dall’azienda, come a voler interrompere prima ancora che comincino nuove polemiche. Ma, per spiegarla in una maniera comprensibile a tutti, il raddoppio della sua portata. In sostanza, grazie a due impianti che andreb bero realizzati in Turchia e in Grecia, nello stesso tubo viaggerebbero 20 miliardi di metri cubi. Il doppio di quelli attuali. Per farlo serve però tempo: quattro anni, dicono dall’azienda. Qualcosa di meno, assicurano altri tecnici. Ma la sostanza è quella.

82 GdB | Nov/dic 2022
Scienze

Quello che appare incredibile è come, oggi che sia mo in emergenza, per trovare le voci contrarie bisogna fare una grandissima fatica. Coloro che avevano avversa to l’opera, oggi fanno pressioni sull’Azerbaijan affinché il raddoppio sia fatto nel più breve tempo possibile E soprattutto che venga garantita, sempre, la portata dei 10 miliardi di metri cubi. Cosa che, oggi, non sempre avviene. Mai come in questo momento, al di là di ogni polemica, il gas di Tap serve. E serve tanto che l’intera partita energetica è vista da qualche mese sotto un altro punto di vista: quello della sicurezza nazionale. “La guer ra in Ucraina” ci ha messo davanti a una realtà, che a noi era chiara da tempo. Ma che un pezzo della politica aveva fatto finta di non capire e non vedere. L’energia è tra le più potenti armi di difesa e di ricatto sul piano della po litica internazionale, seconda soltanto alle armi. E come tale va trattata.

Ecco cosa scrive il Dis, il Dipartimento di informazio ne per la Sicurezza, nella sua ultima relazione. “Le pro fonde implicazioni della transizione energetica in atto, che investono a un tempo aspetti tecnologici, economi ci e sociali con una rapidità priva di precedenti storici, hanno riflessi anche sul piano della sicurezza del Sistema Paese. In tale quadro, emergono profili di rischio che si declinano su diversi orizzonti temporali e la cui portata è apparsa in tutta la sua evidenza sia per quanto attiene la forte incertezza che caratterizza i prezzi dell’energia, sia con riferimento alle complessità derivanti da un disalli neamento a livello internazionale tra le posizioni di chi, seguendo la leadership dell’Ue, mira a un rapido proces so di decarbonizzazione e chi attribuisce una diversa pri orità alla riduzione delle emissioni”. Tradotto: noi stiamo puntando, su indicazione della UE, sulla decarbonizza zione. Abbiamo, per questo, chiuso le centrali a carbone che ci garantivano sì produzione, ma anche insostenibile inquinamento. Altri paesi, però, non lo stanno facendo. Il mercato, così, è drogato. E noi siamo in grossa diffi coltà. Ecco perché senza carbone, e con un investimento sulle rinnovabili ancora zoppicante, l’Italia in tema ener getico è dipendente dal gas. E dunque dai suoi produtto ri. “Con una quota prossima al 40 % - dice infatti il Dis - il gas costituisce la principale fonte primaria del paniere energetico nazionale” e la sua valenza è accentuata dal fatto che “le centrali alimentate a metano rappresentano circa la metà della produzione elettrica italiana”.

Che succede se la Russia smette di fornircelo? Un’ipo tesi irreale fino a qualche tempo fa, ma che oggi va asso lutamente presa in considerazione. Nel medio periodo. Ma anche nell’immediato. Se chiudono i rubinetti che tenuta abbiamo? L’Italia ha sempre avuto una riserva, proprio per affrontare situazioni complesse. Ma mai si era pensato a un momento zero.

Che fare quindi? Nel lungo periodo è in piedi un

discorso con la Germania che ha puntato forte sull’i drogeno. E alla quale noi potremmo offrire energia prodotta con le rinnovabili. Ma si parla di anni, molti anni. Gli Stati Uniti hanno ufficialmente offerto la loro disponibilità, aumentando le attuali forniture e metten do a disposizione anche navi gasiere dal Kuwait. Ma quello che manca sono i rigassificatori che servirebbero appunto a rendere utilizzabile il metano in arrivo via mare. In questo momento in Italia - hanno spiegato al tavolo - sono attivi tre impianti:

• Rovigo

• Livorno

• La Spezia che complessivamente possono trattare fino a 60 mi lioni di metri cubi al giorno e viaggiano al momento (in periodo invernale) attorno a 40 milioni. Un minimo di spazio c’è quindi per aumentare le forniture. Ma mini mo, appunto.

E per approntarne di nuovi o duplicare quelli esi stenti - come nel caso della- Tap anche i rigassificatori sono oggetto, da sempre, di dure battaglie dei territori che non ne vogliono l’installazione. Però ora non c’è più tempo.

Bibliografia

J. Rifkin, Un Green New Deal globale. Il crollo della civiltà dei combustibili fossili entro il 2028 e l’audace piano economico per salvare la terra, Milano, Monda dori, 2020, p. 117 e pp. 117 e ss. S. Kopits, Global Oil Market Forecasting: Main Approa ches and Key Drivers, K. Muldoon-Smith, Understanding climate-related stran ded assets in the global real estate sector, in B Calde cott (ed.), Stranded Assets and the Environment: Risk, Resilience, and Opportunity. Comunicazione su REPowerEU: azione europea comu ne per un’energia più sicura, più sostenibile e a prezzi più accessibili, COM(2022) 108 final dell’8.3.2022 e Co municazione della commissione al parlamento europeo, al consiglio, al comitato economico e sociale europeo e al comitato delle regioni Sicurezza dell’approvvi gionamento e prezzi dell’energia accessibili: opzioni per misure immediate e in vista del prossimo inverno, COM(2022) 138 final, del 23.3.2022.

Regolamento (UE) 2018/1999 del Parlamento e del Consiglio Europeo dell’11 dicembre 2018 sulla go vernance dell’Unione dell’energia e dell’azione per il clima che modifica le direttive (CE) n. 663/2009 e (CE) n. 715/2009 del Parlamento europeo e del Consiglio, le direttive 94/22/CE, 98/70/CE, 2009/31/CE, 2009/73/ CE, 2010/31/UE, 2012/27/UE e 2013/30/UE del Parla mento europeo e del Consiglio, le direttive del Consiglio 2009/119/CE e (UE) 2015/652 e che abroga il regola mento (UE) n. 525/2013 del Parlamento europeo e del Consiglio, Bruxelles, 21/12/2018, L 328/1. Direttiva (UE) 2018/2001 del Parlamento e del Consiglio Europeo dell’11 dicembre 2018 sulla promozione dell’u so dell’energia rinnovabile.

83 GdB | Nov/dic 2022
Scienze

Il microbiota vaginale Il centro del benessere femminile

Il corpo umano è un olobionte costituito dall’ospi te e da microbi multispecie, dove l’interdipenden za tra loro è stata progressivamente rafforzata nel corso di circa mezzo miliardo di anni di coevolu zione uomo-microbi (1). Tuttavia, la precedente conoscenza del microbiota negli olobionti era modellata dalle ricerche in cui venivano utilizzati metodi dipendenti dai terreni di cultura per identificare le specie. Con l’av vento delle nuove tecnologie, gli scienziati hanno rivelato che la biodiversità è ben al di là delle cellule microbiche coltivate con colture metodo dipendenti. In particola re, l’approccio “high-throughput sequencing” fornisce un’ulteriore comprensione del vasto spettro della struttu ra della comunità microbica.

Il cavo orale e il tratto intestinale sono stati l’obietti vo a lungo termine di un gran numero di ricerche sulle comunità microbiche residenti nell’uomo. In tale conte sto, sebbene, la salute vaginale sia influentemente signi ficativa per la riproduzione umana e la salute pubblica, essa ha attirato meno attenzione da parte della comunità scientifica. Solo nell’ultimo decennio è stata posta sempre maggiore enfasi sulla salute femminile, in particolare in relazione al microbioma vaginale (2). La vagina ospita un enorme micro-ecosistema contenente miliardi di microbi. Un sistematico rilevamento della biomassa microbica del tratto riproduttivo femminile è stato condotto mediante il sequenziamento del gene rRNA-16S di 110 donne nell’età riproduttiva, ciò ha rivelato che la vagina contiene circa 1011 Phyla differenti (3). ll microbioma vaginale è un mi cro-ecosistema intricato e dinamico che subisce costante mente fluttuazioni durante il ciclo ormonale femminile e per tutta la vita della donna. La mucosa vaginale è costi tuita da un epitelio squamoso stratificato non cheratiniz zato ricoperto da secrezioni cervicovaginali (4). La muco sa vaginale acquisisce ossigeno, glucosio e altri nutrienti dai tessuti sottomucosi sottostanti attraverso diffusione a causa del limitato afflusso di sangue; ciò stabilisce una

condizione di habitat relativamente anaerobico. Notevoli differenze sono state segnalate tra donne non gravide e donne in gravidanza in termini di microbioma vulvare. Secondo i risultati del confronto, un forte calo della diversità e dell’ab bondanza dei Phyla re sidenti nella vagina è osservato nelle donne in gravidanza in cui si nota la predominanza di Lactobacillus spp., Actinomycetales, Clo stridiales e Bacteroida les. Nelle donne non gravide si osserva la predominanza di Lac tobacillus spp., Acti nobacteria, Prevotella, Veillonellaceae, Strep tococco, Proteobatteri, Bifidobacteriaceae e Bacteroides (5). Così, il microbioma vaginale cambierebbe tempo raneamente secondo gli stati ormonali e tra gli individui; inoltre, si osservano differenze e variazioni anche in pre senza/assenza dell’at tività sessuale, dello stress cronico, della razza e etc… (6, 7).

Sulla base di studi di high-throughput se quencing, esistono in termini di Phyla della

84 GdB | Nov/dic 2022
La dipendenza dell’UE dal gas Russo e gli scenari conseguenti al conflitto con l’Ucraina di Giuseppe Palma
Scienze

popolazione microbica vaginale cinque tipi stadi comuni tari (CST). Nello specifico, evidenze scientifiche su 396 donne asintomatiche di quattro gruppi etnici dimostrano che la maggior parte dei microbiomi vaginali è dominata da singoli o più specie di Lactobacillus e da più specie bat teriche, che vengono classificati in cinque differenti CST. I CST-I, II, III e V sono dominati da L. crispatus, L. gasseri, L. iners e L. jensenii, rispettivamente. Tuttavia, CST-IV è caratterizzato da una miscela di diversi anaerobi facoltati vi con bassi livelli di Lattobacilli. Questo CST-IV è stato ulteriormente diviso in due sottostati CST-IV-A e CST-I V-B. CST-IV-A contiene specie dei generi Anaerococus, Peptoniphilus, Corynebacterium, Prevotella, Finegoldia e Streptococco. CST-IV-B è caratterizzato da Atopobium, Gardnerella, Sneathia, Mobiluncus, Megasphera ed altri tipi di Clostridi. Normalmente alti score di Nugent sono legati al CST-IV ma si osservano anche in altri CST. Fra i cinque gruppi, i CST I, II, III e V sono presenti nell’89% delle donne bianche e nell’ 80% delle donne asiatiche; mentre sono presenti per il 61% e il 59%, rispettivamen te, nelle donne nere e ispaniche. Quindi il cambiamento nei grup pi etnici è evidente quando domina anche CST IV (8).

Le specie Lactoba cillus prosperano nell’ ambiente anaerobio va ginale e producono vari composti antimicrobi ci, come l’acido lattico, il perossido di idrogeno (H2O2) e le batterioci ne, contribuendo così a un sano habitat vagi nale e stabilendo una difesa contro l’invasio ne di agenti patogeni. Le specie Lactobacillus sono la principale fonte di L- acido lattico e Dacido lattico che man tengono basso il valore del pH dell’habitat [9], mentre le cellule epite liali contribuiscono per circa il 20% alla pro duzione dell’L- acido

lattico. L’acido lattico è presente in vagina in due forme isomeriche differenti cioè D(–) e L(+). È stato suggeri to che la disponibilità del glicogeno nel lume vaginale aumenta a causa dell’esfoliazione delle cellule epiteliali ricche di glicogeno in seguito all’ attività della ialuroni dasi-1 e della metalloproteinasi della matrice. Inoltre, un recente studio ha indicato che l’acido lattico, in partico lare nella sua forma L(+), sopprime l’infezione da HIV-1 indipendentemente dal suo pH [10]. Un altro studio ha suggerito che l’acido lattico nelle sue forme sia D(–) che L(+) induce una risposta antinfiammatoria delle cellule cervico-vaginali contro HIV. L’acido lattico è stato di mostrato influenzare le risposte immunitarie dell’ospite attraverso diversi meccanismi, tra cui stimolare aumenti significativi nella produzione del mediatore antinfiam matorio IL-1RA (antagonista del recettore dell’interleu china-1) da parte di cellule epiteliali vaginali, inibire la produzione di mediatori pro-infiammatori come IL-6, IL-8 e TNF (fattore di necrosi tumorale alfa), stimolare i linfociti T helper 17 (Th17) attraverso la produzione di IL-23 mediante l’esposizione del lipopolisaccaride bat terico e accumulo citosolico di acido lattico che blocca la produzione di cAMP (adenosina monofosfato ciclico) portando ad un aumento dell’autofagia per la degrada zione dei microbi e il mantenimento dell’omeostasi. In particolare, la specie dominante Lactobacillus determina l’estensione della protezione dell’ecosistema vagina. Ad esempio, disbiosi e bassa stabilità sono solitamente cor relati al microbiota vaginale dominato da L. iner. Al con trario, salute ed elevata stabilità vaginale sono arricchiti da L. crispatus che fornisce D- e L-acido lattico [11].

L’H2O2 è un’altra sostanza antimicrobica nota che viene prodotta sia in vitro che in vivo da molte specie di Lactobacillus in presenza di ossigeno (O2). Tuttavia, i livelli di O2 disciolto sono bassi in vagina mantenen do così un atmosfera anaerobica. Quindi, l’accumulo di H2O2 ad un livello sufficiente a fornire tossicità agli agenti patogeni è un sistema di difesa in vagina. Tutta via, il ruolo dell’H2O2 nel microbioma vaginale rimane controverso. Alcuni studi hanno dimostrato che esso ha effetti positivi sull’inibizione della crescita eccessiva di microbi patogeni. O’Hanlon et al. hanno evidenziato che il H2O2 a livelli fisiologici mostra la capacità non rileva bile di eliminare i microbi patogeni, mentre ad alti livelli hanno una maggiore capacità antimicrobica verso Lacto bacillus spp. [12]. Questa scoperta indica che il H2O2 non è un agente antimicrobico vitale per il mantenimen to dell’omeostasi del microbioma vaginale.

I Lactobacilli, in particolare L. crispatus and L. gasseri, sintetizzano le Bacteriocine IIa, IIc, J46, acidocin lF221A, gassericin T e lantibioticina di Tipo A, un tipo di peptidi antimicrobici che possono permeabilizzare la membrana cellulare microbica di microrganismi non indigeni come

85 GdB | Nov/dic 2022
Scienze © Tatiana Stulbo/shutterstock.com

S. aureus, Klebsiella spp., E. faecalis, E. coli ed avere un ruolo nella prevenzione della loro crescita [13].

La Vaginosi Batterica (BV) è un disturbo del tratto genitale inferiore altamente prevalente tra donne in età riproduttiva. Affligge il 23%/29% delle donne in tutto il mondo e per questo vengono spesi 4,8 miliardi di euro per il trattamento sintomatico della BV ogni anno. La BV è caratterizzata dalla perdita o dal forte calo del numero totale di Lactobacillus e un corrispondente aumento di 100-1000 volte nella concentrazione di microbi anaero bici facoltativi o obbligati, come Gardnerella, Prevotel la, Atopobium, Mobiluncus, Bifidobacterium, Sneathia, Leptotrichia e qualche batterio della famiglia dei Clostri diales indicati come associati a BV. La stretta relazione tra la BV e Gardnerella vaginalis indica che questo microrga nismo è un patogeno molto ricorrente ed importante per l’insorgenza delle BV [14].

Le donne sane o asintomatiche possono anche esse re portatrici di G. vaginalis, suggerendo che la presenza di G. vaginalis nella vagina non sempre risulta un fatto re predisponente per le BV. Pertanto, è importante ave re una corretta comprensione del ruolo di G. vaginalis

come attore, partecipante o agente eziologico delle BV. G. vaginalis presenta una varietà di fattori di virulenza associati ad un potenziale ruolo patogeno, tra cui i fattori più ampiamente studiati sono le sialidasi e la vaginolisina. Il gene della sialidasi-A è associato alle BV e alla presen za di biofilm. Con l’uso di ricerche genomiche tramite il programma BLAST, altre due sialidasi di G. vaginalis (NanH2 e NanH3) sono state identificate. Per quanto ri guarda la specificità del substrato dell’idrolisi, NanH2 e NanH3 ricombinanti risultano attivi su Siaa2-3/2-6- lega ti a N- e O-glicani contenuti nei substrati della mucosa; mentre la sialidasi-A ricombinante ha mostrato una ca pacità limitata di idrolizzare substrati mucosi e sintetici. G. vaginalis utilizza la sialidasi per idrolizzare i residui di acido sialico da muco-sialoglicani nella vagina e quin di catabolizza i carboidrati liberi, contribuendo così alla degradazione vaginale della barriera mucosa. In partico lare, alcuni Gardnerella spp., tra cui G. swidsinskii, G. leopoldii e un certo sottogruppo di G. vaginalis, possiede attività sialidasica negativa [15]. Quanto alla vaginolisina, è un composto tossico che forma pori, è appartenente alla famiglia delle citolisine dipendenti dal colesterolo e faci

86 GdB | Nov/dic 2022
Scienze
© Peddalanka Ramesh Babu/shutterstock.com

lita la lisi delle cellule bersaglio, come le cellule epiteliali vaginali. Altri fattori di virulenza, come le prolidiasi e le glicosolfatasi sono anche associati alle BV.

Il biofilm è una struttura di microbi attaccati a superfici biologiche o abiologiche e inserite nel proprio muco for mando una matrice polimerica comprendente carboidrati, proteine e acidi nuclei [16]. La formazione dei biofilm è intricata, dinamica e con un processo interattivo associa to alla formazione di microbi mobili e aggregati. Una va rietà di batteri e microbi fungini, come Gardnerella spp. e Candida spp., possono formare biofilm [17]. I biofilm pro dotti da microrganismi patogeni formano una protezione efficace contro gli antimicrobici e le risposte immunitarie dell’ospite. Il ciclo di vita dei biofilm comprende tre fasi, ovvero, l’attaccamento ad una superficie, secrezione di ma trice polimerica e aggregazione di microbi per la produzio ne di biofilm maturi e la dispersione da parte del distacco dai biofilm. I biofilm polimicrobici formati sull’epitelio vaginale svolgono un ruolo cruciale nella patogenesi della BV. G. vaginalis è considerato il colonizzatore primario che può stabilire un’impalcatura per il fissaggio di altri microbi associati a BV, consentendo così lo sviluppo di biofilm po limicrobici [18]. Atopobium vaginae, uno dei colonizzatori produttori di biofilm polimicrobici, è un microbo severo anaerobico con grande prevedibilità per le BV [19].

Sebbene l’epidemiologia e la patogenesi della BV non siano completamente comprese, studi basati su tecniche genomiche, lipidomiche, metabolomiche e proteomiche potranno fornire ulteriori approfondi menti. Sulla base delle informazioni accumulate sulla BV verranno sviluppate nuove e accurate strategie te rapeutiche e diagnostiche.

Bibliografia

1. Lynch, S. V., and Pedersen, O. (2016). The human intestinal microbiome in health and disease. N Engl. J. Med. 375, 2369–2379. doi: 10.1056/NEJMra1600266

2. Ravel, J., Moreno, I., and Simón, C. (2021). Bacterial vaginosis and its association with infertility, endometritis, and pelvic inflammatory disease. Am. J. Obstet. Gyne col. 224 (3), 251–257. doi: 10.1016/j.ajog.2020.10.019

3. Chen, C., Song, X., Wei, W., Zhong, H., Dai, J., Lan, Z., et al. (2017). The microbiota continuum along the fe male reproductive tract and its relation to uterine-related diseases. Nat. Commun. 8, 875. doi: 10.1038/s41467017- 00901-0.

4. Hickey, R. J., Zhou, X., Pierson, J. D., Ravel, J., and Forney, L. J. (2012). Understanding vaginal microbiome complexity from an ecological perspective. Transl. Res. 160, 267–282. doi: 10.1016/j.trsl.2012.02.008.

5. Aagaard, K., Riehle, K., Ma, J., Segata, N., Mistretta, T. A., Coarfa, C., et al. (2012). A metagenomic approach to characterization of the vaginal microbiome signature in pregnancy. PloS One 7, e36466. doi: 10.1371/journal. pone.0036466.

6. Noyes, N., Cho, K. C., Ravel, J., Forney, L. J., and Abdo, Z. (2018). Associations between sexual habits, menstrual hygiene practices, demographics and the vaginal microbiome as revealed by Bayesian network analysis. PloS One 13, e0191625. doi: 10.1371/journal. pone.0191625.

7. Nelson, T. M., Borgogna, J. C., Michalek, R. D., Roberts, D. W., Rath, J. M., Glover, E. D., et al. (2018). Cigarette smoking is associated with an altered va ginal tract metabolomic profile. Sci. Rep. 8, 852. doi: 10.1038/s41598-017-14943-3.

8. Ravel, J., Gajer, P., Abdo, Z., Schneider, G. M., Ko enig, S. S., McCulle, S. L., et al. (2011). Vaginal micro biome of reproductive-age women. Proc. Natl. Acad. Sci. U. S. A. 108 Suppl 1, 4680–4687. doi: 10.1073/ pnas.1002611107.

9. Witkin, S. S., and Linhares, I. M. (2017). Why do lactobacilli dominate the human vaginal microbiota? BJOG 124, 606–611. doi: 10.1111/1471-0528.14390.

10. Palomino Ñ, Rogers A, Zicari S, Vanpouille C, Vitali B, Margolis L. Vaginal. Lactobacillus inhibits HIV-1 replication in human tissues ex vivo. Front Microbiol. 2017;8:906.

11. Petrova, M. I., Lievens, E., Malik, S., Imholz, N., and Lebeer, S. (2015). Lactobacillus species as biomar kers and agents that can promote various aspects of vaginal health. Front. Physiol. 6, 81. doi: 10.3389/ fphys.2015.00081.

12. O’Hanlon, D. E., Moench, T. R., and Cone, R. A. (2011). In vaginal fluid, bacteria associated with bacte rial vaginosis can be suppressed with lactic acid but not hydrogen peroxide. BMC Infect. Dis. 11, 200. doi: 10.1186/1471-2334-11-200

13. Stoyancheva G, Marzotto M, Dellaglio F, Torriani S. Bacteriocin production and gene sequencing analy sis from vaginal Lactobacillus strains. Arch Microbiol. 2014;196(9):645–53.

14. Schwebke, J. R., Muzny, C. A., and Josey, W. E. (2014). Role of Gardnerella vaginalis in the pathoge nesis of bacterial vaginosis: a conceptual model. J. Infect. Dis. 210, 338–343. doi: 10.1093/infdis/jiu089.

15. Vaneechoutte, M., Guschin, A., Van Simaey, L., Gansemans, Y., Van Nieuwerburgh, F., and Cools, P. (2019). Emended description of Gardnerella vagina lis and description of Gardnerella leopoldii sp. nov., Gardnerella piotii sp. nov. and Gardnerella swidsinskii sp. nov., with delineation of 13 genomic species within the genus Gardnerella. Int. J. Syst. Evol. Microbiol. 69, 679–687. doi: 10.1099/ijsem.0.003200.

16. Flemming, H. C., Wingender, J., Szewzyk, U., Stein berg, P., Rice, S. A., and Kjelleberg, S. (2016). Biofilms: an emergent form of bacterial life. Nat. Rev. Microbiol. 14, 563–575. doi: 10.1038/nrmicro.2016.94

17. Gulati, M., and Nobile, C. J. (2016). Candida albi cans biofilms: development, regulation, and molecu lar mechanisms. Microbes Infect. 18, 310–321. doi: 10.1016/j.micinf.2016.01.002.

18. Jung, H. S., Ehlers, M. M., Lombaard, H., Re delinghuys, M. J., and Kock, M. M. (2017). Etiolo gy of bacterial vaginosis and polymicrobial biofilm formation. Crit. Rev. Microbiol. 43, 651–667. doi: 10.1080/1040841X.2017.1291579.

19. Castro, J., Rosca, A. S., Cools, P., Vaneechoutte, M., and Cerca, N. (2020). Gardnerella vaginalis enhan ces Atopobium vaginae viability in an in vitro model. Front. Cell Infect. Microbiol. 10, 83. doi: 10.3389/ fcimb.2020.00083.

87 GdB | Nov/dic 2022
Scienze

Anno V - N. 11-12 Novembre/dicembre 2022

Edizione mensile di AgONB (Agenzia di stampa dell’Ordine Nazionale dei Biologi) Testata registrata al n. 52/2016 del Tribunale di Roma Diffusione: www.onb.it

Direttore responsabile: Claudia Tancioni Redazione: Ufficio stampa dell’Onb

Giornale dei Biologi

Progetto grafico e impaginazione: Ufficio stampa dell’ONB. Questo magazine digitale è scaricabile on-line dal sito internet www.onb.it edito dall’Ordine Nazionale dei Biologi. Questo numero de “Il Giornale dei Biologi” è stato chiuso in redazione mercoledì 30 novembre 2022.

Contatti: +39 0657090205, +39 0657090225, ufficiostampa@onb.it. Per la pubblicità, scrivere all’indirizzo protocollo@peconb.it.

BIOLOGI

AL VOTO IN TUTTA ITALIA

IL FUTURO DELLA BIOLOGIA NELLA GENOMICA AVANZATA

Gli articoli e le note firmate esprimono solo l’opinione dell’autore e non impegnano l’Ordine né la redazione. Immagine di copertina: © brichuas/www.shutterstock.com © Blan-k/www.shutterstock.com

88 GdB | Nov/dic 2022
Edizione mensile di AgONB, Agenzia di stampa dell’Ordine Nazionale dei Biologi. Registrazione n. 52/2016 al Tribunale di Roma. Direttore responsabile: Claudia Tancioni. ISSN 2704-9132
Novembre/dicembre 2022 Anno V - N. 11-12
Eletti tutti componenti dei Consigli direttivi degli Ordini Regionali dei Biologi

Informazioni per gli iscritti

Si informano gli iscritti che gli uffici dell’Ordine Nazio nale dei Biologi forniranno informazioni telefoniche di ca rattere generale dal lunedì al venerdì dalle ore 9:00 alle ore 13:30 e dal lunedì al giovedì dalle ore 15:00 alle ore 17:00.

Tutte le comunicazioni dovranno pervenire tramite posta (presso Ordine Nazionale dei Biologi, via Icilio 7, 00153 Roma) o all’indirizzo protocollo@peconb.it, indi cando nell’oggetto l’ufficio a cui la comunicazione è de stinata.

In applicazione delle disposizioni in materia di contenimento e gestione dell’emergenza epidemiologica da Covid-19 è possibile recarsi presso le sedi dell’Ordine Nazio nale dei Biologi previo appuntamento e soltanto qualora non sia possibile ricevere assistenza telematica.

L’appuntamento va concordato con l’ufficio interessato tramite mail o telefono.

UFFICIO TELEFONO

Centralino 06 57090 200

CONSIGLIO DELL’ORDINE NAZIONALE DEI BIOLOGI

Vincenzo D’Anna – Presidente E-mail: presidenza@peconb.it

Pietro Miraglia – Vicepresidente E-mail: analisidelta@gmail.com

Pietro Sapia – Consigliere Tesoriere E-mail: p.sapia@onb.it

Duilio Lamberti – Consigliere Segretario E-mail: d.lamberti@onb.it Gennaro Breglia E-mail: g.breglia@onb.it

Claudia Dello Iacovo E-mail: c.delloiacovo@onb.it

Stefania Papa E-mail: s.papa@onb.it

Franco Scicchitano E-mail: f.scicchitano@onb.it

Ufficio ragioneria 06 57090 222

Anagrafe e area riservata 06 57090 241 Iscrizioni e passaggi 06 57090 210 - 06 57090 223

Ufficio Pec, assicurazione 06 57090 202 certificati, timbro e logo

Quote e cancellazioni 06 57090 216 - 06 57090 21706 57090 224

Ufficio formazione 06 57090 207 - 06 57090 218 06 57090 239

Ufficio stampa 06 57090 205 - 06 57090 225

Ufficio abusivismo 06 57090 288

Ufficio legale protocollo@peconb.it

Consulenza fiscale consulenzafiscale@onb.it

Consulenza privacy consulenzaprivacy@onb.it

Consulenza lavoro consulenzalavoro@onb.it

Ufficio CED 06 57090 230 - 06 57090 231

Ufficio segreteria Ctu 06 57090 215

Presidenza e Segreteria 06 57090 229

Organi collegiali

Alberto Spanò E-mail: a.spano@onb.it

CONSIGLIO NAZIONALE DEI BIOLOGI

Maurizio Durini – Presidente

Andrea Iuliano – Vicepresidente Luigi Grillo – Consigliere Tesoriere Stefania Inguscio – Consigliere Segretario Raffaele Aiello Sara Botti

Laurie Lynn Carelli Vincenzo Cosimato Giuseppe Crescente Paolo Francesco Davassi Immacolata Di Biase Federico Li Causi Andrea Morello Marco Rufolo Erminio Torresani

89 GdB | Nov/dic 2022
Contatti
BIANCO DELL’ORDINE NAZIONALE DEI BIOLOGI 2017-2022
LIBRO

Turn static files into dynamic content formats.

Create a flipbook
Issuu converts static files into: digital portfolios, online yearbooks, online catalogs, digital photo albums and more. Sign up and create your flipbook.