BIOLOGIE FÜR ALLE
4. KLASSE










Drexler, Grössing, Hellerschmidt bearbeitet von Alexander Reich www.eS quirrel.at

![]()










Drexler, Grössing, Hellerschmidt bearbeitet von Alexander Reich www.eS quirrel.at

Margit Drexler, Helga Grössing, Brigitta Hellerschmidt bearbeitet von Alexander Reich

Lade die eSquirrel Lern-App auf dein Smartphone, wähle dieses Buch aus, gib den Code ein und los geht’s!
Dieses Buch ist laut Bescheid des Bundesministeriums für Bildung, Wissenschaft und Forschung vom 26. November 2024 ((GZ: 2024-0.152.969) gemäß § 14 Abs. 2 und 5 des Schulunterrichtsgesetzes, BGBL. Nr. 472/86, und gemäß den derzeit geltenden Lehrplänen als für den Unterrichtsgebrauch für die 4. Klasse an Mittelschulen und für die 4. Klasse an allgemein bildenden höheren Schulen – Unterstufe im Unterrichtsgegenstand Biologie und Umweltbildung geeignet erklärt.
Schwierige und neue Wörter sind im Text orange hervorgehoben und werden in der Spalte daneben erklärt.
Wichtige Begriffe sind im Text dick hervorgehoben, du siehst also mit einem Blick, was in jedem Kapitel wichtig ist.
Aufgaben und Arbeitsaufträge, die du während des Unterrichts – alleine oder mit der ganzen Klasse – lösen kannst, sind in der seitlichen Spalte angegeben. Eine Lupe zeigt dir an, dass du hier selbst einen Versuch machen sollst.
Am Ende jedes Kapitels findest du in einem kurzen Merktext die wichtigsten Inhalte zusammengefasst. Du kannst also noch einmal wiederholen, was in dem Kapitel vorgekommen ist.
Nun geht’s los – Aufgaben für schlaue Köpfe!
Unter diesem Motto findest du an vielen Stellen in diesem Buch Arbeitsblätter, die du ausfüllen kannst. Du wiederholst damit das, was du zuvor gelernt hast. Die Aufgaben sind mit Sternchen gekennzeichnet. Je mehr Sternchen du findest, desto schwieriger ist die Aufgabe. Du kannst diese Arbeitsblätter auch heraustrennen und in deiner Portfolio-Mappe sammeln.



Nach jedem großen Abschnitt dieses Buches haben wir für dich spannende Geschichten zu diesem Bereich, den du zuvor kennen gelernt hast, zusammengestellt. In Form einer Zeitung kannst du nachlesen, was es noch an Interessantem zu erfahren gibt. Willst du noch mehr wissen, dann nutze doch auch unsere Büchervorschläge, die du hier findest.
Kopierverbot:
Dieses Werk ist für den Einsatz im Schulunterricht bestimmt. Laut Urheberrecht in der Fassung der Urheberrechtsgesetz-Novelle 2003 (§ 43 (6)) darf es weder ganz noch in Teilen auch für den Einsatz im Schulunterricht nicht kopiert oder vervielfältigt werden.
Umschlagbilder: photos.com / nobeastsofierce photos.com / Pixland photos.com / Alexandr Mitiuc photos.com / Jupiterimages photos.com / vilainecrevette
Schulbuchnummer: 165.424
© Olympe Verlag GmbH, Oberwaltersdorf, 2024 Alle Rechte vorbehalten Vervielfältigung jeder Art gesetzlich verboten
8. Auflage (2025)
Lektorat: Marion Ramell, BA
Umschlaggestaltung, Satz, Layout: Raoul Krischanitz, Wien, transmitterdesign.com Grafik: Raoul Krischanitz, transmitterdesign.com Druck, Bindung: Druckerei Berger, Horn
ISBN: 978-3-902779-22-9

































Unser Skelett besteht aus über 200 Knochen. Es wird in das Schädel-, Rumpf- und Gliedmaßenskelett unterteilt. Das Skelett hat 3 wesentliche Funktionen:
Stützfunktion

Schutzfunktion Bewegungsfunktion


Es stützt den Körper. Es schützt Organe. Es ermöglicht Bewegungen.
Das Schädelskelett
Stirnbein
Nasenbein
Tränenbein
Jochbein
Oberkiefer
Unterkiefer

Scheitelbein
Schläfenbein
Hinterhauptsbein
Keilbein
Schädel Querschnitt
Alle Knochen des Schädels sind fest miteinander verwachsen. Nur der Unterkieferknochen ist beweglich. Der Schädel wird unterteilt in den Gesichtsschädel und den Gehirnschädel.
GESICHTSSCHÄDEL: Zu diesem zählen die beiden Jochbeine, paarig das Nasen- und Tränenbein, der vordere Teil des Stirnbeins sowie die Kiefer. Im Unter- und Oberkieferknochen werden die Zähne durch den Zahnhalteapparat festgehalten. Der Nasenknorpel setzt an den beiden kleinen Nasenbeinen an.
Spüre mit deinen Händen verschiedene Knochen an deinem Körper! Vergleiche anschließend mit deiner Sitznachbarin / deinem Sitznachbarn, was ihr ertasten konntet! Schaut euch dazu die Abbildungen im Buch an und versucht, die ertasteten Knochen richtig zu benennen!
GEHIRNSCHÄDEL: Dieser wird von einzelnen plattenförmigen Knochen gebildet. Er ist eine knöcherne Kapsel, die das Gehirn schützt. Das Stirnbein ist der vordere Teil des Gehirnschädels. Die beiden Scheitelbeine schließen den Schädel nach oben ab. Seitlich befinden sich die Schläfenbeine und die Keilbeine. An der hinteren Unterseite des Schädels schließt das Hinterhauptsbein an. In der Schädelbasis liegt das Hinterhauptsloch als Durchtrittsstelle für das Rückenmark.
Für den Menschen ist typisch, dass der Großteil des Gehirnschädels höher liegt als der Gesichtsschädel
Was sind Fontanellen? Beim Neugeborenen befinden sich zwischen den Schädelplatten mit Bindegewebe überwachsene Spalten. Dadurch können sich bei der Geburt die Knochenplatten übereinander schieben, damit der Kopf den Geburtskanal passieren kann. Diese „Lücken“ nennt man Fontanellen.


vordere Fontanelle

hintere Fontanelle
Schädeloberseite eines Neugeborenen

Schädeloberseite eines Erwachsenen
Rumpfskelett


Modell: Schaden an einer Bandscheibe (rot). Sie tritt hervor und drückt gegen Nerven
Beobachtet euch gegenseitig beim Sitzen und Stehen! Achtet dabei auf eure Körperhaltung: Sitzt oder steht ihr aufrecht? Gibt es Unterschiede zwischen euch? Tauscht euch anschließend über eure Beobachtungen aus!
Schlüsselbein
Schulterblatt
Brustbein
Rippen
Kreuzbein
Darmbein
Schambein
Sitzbein
Schultergürtel, Beckengürtel, Brustkorb und Wirbelsäule bilden das Rumpfskelett.
SCHULTERGÜRTEL: Dieser besteht aus den beiden Schlüsselbeinen und den beiden Schulterblättern.
BECKENGÜRTEL: Dieser setzt sich aus dem Kreuzbein und den Beckenknochen zusammen. Die Beckenknochen sind das Darmbein, das Schambein und das Sitzbein.
BRUSTKORB: Er wird aus den zwölf Brustwirbeln, zwölf Rippenpaaren und dem Brustbein gebildet.
WIRBELSÄULE: Sie ist das verbindende Element des Rumpfskeletts. Die Wirbelsäule setzt sich aus einzelnen Wirbeln zusammen, die gegeneinander beweglich sind. Zwischen den Wirbeln liegen die Bandscheiben, die aus Knorpel bestehen. Ihre Aufgabe ist es, die Reibung zwischen den Wirbeln zu verringern und als „Stoßdämpfer“ gegen Druckbelastungen zu wirken. Der Aufbau der Wirbelsäule aus einzelnen Wirbeln und Bandscheiben bewirkt, dass das Rumpfskelett beweglich ist. Die doppelte s-förmige Krümmung der Wirbelsäule federt Stöße und Erschütterungen ab.

Dornfortsatz

Wirbel
Wirbelbogen
Querfortsatz
Nerven
Wirbelloch mit dem Rückenmark
Wirbelkörper mit Bandscheibe
7 Halswirbel
12 Brustwirbel
5 Lendenwirbel
Kreuzbein
Steißbein
Unsere Wirbelsäule besteht aus 24 beweglichen Wirbeln. Neben den 7 Halswirbeln, den 12 Brustwirbeln und den 5 Lendenwirbeln gibt es noch 5 miteinander verwachsene Kreuzbeinwirbel und 3 bis 5 verkümmerte Steißbeinwirbel. Das Steißbein ist ein rudimentäres Organ, das dem Schwanz anderer Wirbeltiere entspricht.
Wirbelsäule von vorne, seitlich und von hinten
Der Wirbelkörper ist nach vorne gerichtet. Gemeinsam mit dem Wirbelbogen bildet er das Wirbelloch. Die Wirbellöcher sämtlicher Wirbel bilden den Wirbelkanal, durch den das Rückenmark verläuft. Zwischen den Wirbeln treten Nerven zu den Muskeln und Organen aus.
Jeder Wirbel hat 3 Fortsätze: den nach hinten gerichteten Dornfortsatz und die beiden seitlichen Querfortsätze. An ihnen setzen Muskeln an, mit denen der Rumpf bewegt wird.
Das Gliedmaßenskelett
Man unterscheidet das obere und das untere Gliedmaßenskelett.

Oberarmknochen
Elle
Speiche
Armskelett
OBERES GLIEDMASSENSKELETT: Dieses nennt man auch Armskelett. Es besteht aus dem Oberarmknochen, der Elle und der Speiche sowie den 8 Handwurzelknochen, den 5 Mittelhandknochen und den 5 Fingerknochen
Das Armskelett ist über das Schultergelenk und über feste Bänder mit dem Schultergürtel verbunden.
Handwurzelknochen
Mittelhandknochen
Fingerknochen
Handskelett

An den Knochen des Handskeletts setzen zahlreiche Muskeln an. Diese ermöglichen die hohe Beweglichkeit der Hand und besonders der Finger. Da der Daumen den anderen Fingern gegenübergestellt werden kann, ist ein Pinzettengriff möglich. Gegenstände können so zwischen dem 2-gliedrigen Daumen und den 3-gliedrigen Fingern festgehalten werden.

Oberschenkelknochen
Kniescheibe
Das Fußgewölbe
Der Fuß weist ein Längsund ein Quergewölbe auf. Gemeinsam bilden sie das Fußgewölbe, das durch die Muskulatur und elastische Bänder gestützt wird. Das Fußgewölbe federt Erschütterungen beim Gehen oder Laufen ab.
UNTERES GLIEDMASSENSKELETT: Dieses nennt man auch Beinskelett. Es setzt sich aus dem Oberschenkelknochen, der Kniescheibe, dem Schienbein und dem Wadenbein sowie den 7 Fußwurzelknochen, 5 Mittelfußknochen und 5 Zehenknochen zusammen. Die große Zehe ist 2- und die restlichen Zehen 3-gliedrig. Der Oberschenkelknochen ist der größte und stärkste Knochen des menschlichen Körpers. Er ist durch das Hüftgelenk mit dem Beckengürtel verbunden.
Schienbein
Wadenbein
Fußwurzelknochen
Mittelfußknochen
Zehenknochen
Beinskelett und Fußskelett





Normaler Fuß
ACHTUNG: Unpassendes Schuhwerk oder lang anhaltende, starke Belastung können zu einer Dehnung dieser Bänder führen. Dadurch geht die Wölbung zurück.
Recherchiere, welche Fußschäden es gibt! Schreibe zu einem davon einen kurzen Sachtext!
Spreizfuß: abgeflachtes Quergewölbe
Senk-, Knick-, Plattfuß: abgeflachtes Längsgewölbe Eine fehlende Wölbung kann auch angeboren sein.

Senk-, Knick- und Plattfuß
Rippen
Brustbein

Knorpelverbindung zwischen Rippen und Brustbein
Knochenmark

Knochen
Gelenkband
Gelenkkopf
Bandstruktur
Knochenverbindungen
Im Skelett sind die einzelnen Knochen entweder mit festen Nähten, durch Knorpel, durch bandförmiges Bindegewebe oder durch Gelenke miteinander verbunden.

Nähte am Schädel
Feste Nähte gibt es dort, wo die Knochen eine Schutzfunktion haben und daher eine feste Verbindung wichtig ist. So sind die einzelnen Knochenplatten des Schädels durch Nähte miteinander verbunden.
Gelenkschmiere
Gelenkknorpel
Gelenkspalt
Gelenkknorpel
Gelenkpfanne
Gelenkkapsel
Aufbau eines Gelenks am Beispiel des Kniegelenks
Wo hast du schon einmal Teile bei Geräten oder Maschinen gesehen, die an Gelenke erinnern?
Träger: erster Halswirbel, auf dem der Schädel sitzt

Das Skelett hat Stütz-, Bewegungs- und Schutzfunktion. Es wird in das Schädel-, Rumpfund Gliedmaßenskelett unterteilt. Feste Nähte, Knorpel, bandförmiges Bindegewebe und Gelenke verbinden Knochen miteinander.



Knorpelverbindungen treten dort auf, wo Knochen elastisch miteinander verbunden sind. Zwischen den Rippen und dem Brustbein kann sich dadurch der Brustkorb beim Atmen dehnen.
Bei bandförmigen Verbindungen werden zwei Knochen durch Bindegewebe zusammengehalten.
Solche Verbindungen kommen z. B. am Unterarm zwischen Elle und Speiche oder am Unterschenkel zwischen Schien- und Wadenbein vor.
Die beweglichen Knochenverbindungen sind die Gelenke. Sie ermöglichen unterschiedliche Bewegungen. Die wichtigsten Arten von Gelenken siehst du hier:
Kugelgelenke


Sie ermöglichen Bewegungen in alle Richtungen. Hüftgelenk, Schultergelenk usw.
Scharniergelenke


Sie können nur in einer Ebene bewegt werden
Ellbogengelenk, Kniegelenk, Zehengelenke usw.

Schienbein
Bindegewebe
Wadenbein
Bandförmige Verbindung im Unterschenkel
Sattelgelenke


Sie erlauben Bewegungen in zwei Ebenen Der Daumen kann jedem anderen Finger gegenübergestellt werden.
Drehgelenke


Sie ermöglichen Bewegungen nur um eine Achse, zwischen Hinterhauptsbein und Träger
Im Gelenkspalt zwischen Gelenkkopf und -pfanne liegt der Gelenkknorpel. Das Gelenk ist von einer Hülle aus Bindegewebe, dem Gelenkband und der Gelenkkapsel, umgeben. Dieses umschließt die Gelenkhöhle mit der Gelenkschmiere. Die Knochen werden durch Bänder zusammengehalten.

1) Ringle in dieser Abbildung die 3 Abschnitte des Skeletts, die du schon in der 1. Klasse kennengelernt hast, mit den Farben der Kästchen ein! Beschrifte dann diese Abschnitte! %%%




2) 3 x 3 – Erstelle in deinem Heft eine Übersicht! Gehe dabei nach diesem Schema vor! %%
3 Teile des Skeletts
3 Funktionen des Skeletts
3 Arten von Knochenverbindungen
3) Hier wirbelt es! Ringle den Buchstaben des passenden Wirbelteiles ein und finde die gesuchte Knochenverbindung! %%
ist abgerundet und nach vorne gerichtet T Wirbelbogen N Wirbelkörper schließt hinten an U Gallertkern A Wirbelbogen wird von Wirbelkörper und -bogen umgeben E Wirbelloch B Querfortsatz wird von den Wirbellöchern gemeinsam gebildet S Dornfortsatz H Wirbelkanal ist nach hinten gerichtet, an ihm setzen Muskeln an T Dornfortsatz R Wirbelloch kommen an einem Wirbel 2 mal vor A Wirbelkörper E Querfortsatz
LÖSUNGSWORT:

4) Wo gehören diese beiden Sätze hin? Markiere die Buchstaben mit der entsprechenden Farbe! Finde zum Schluss auch eine passende Überschrift! %%
Dieser drückt dann auf die Nerven, die zwischen den Wirbeln austreten.
Es kann auch gelegentlich zu Lähmungserscheinungen kommen.

BA.Eine Bandscheibe besteht aus einem gallertigen (zähflüssigen) Innenteil, dem Gallertkern.
. Er ist von einem Knorpelring umgeben. C. Bei einer lang anhaltenden ungleichmäßigen Belastung reißt dieser Knorpelring ein. D. Dies führt zu einer Verlagerung des Gallertkerns. E. Symptome eines Band scheiben vorfalls sind starke ausstrahlende Schmerzen, die oft mit einem Taubheitsgefühl im Versorgungsgebiet der eingeklemmten Nervenwurzel einhergehen. F. Vorbeugende Maßnahmen gegen einen Bandscheibenvorfall sind eine bewusste Körperhaltung und eine Stärkung der Rumpfmuskulatur durch gymnastische Übungen oder Sport. G.
5) Um welches Gelenk handelt es sich hier? Beschrifte die verschiedenen Gelenke und notiere, welche Art von Bewegung sie ermöglichen! %%%



NAME: Es ermöglicht
NAME:
NAME:
Welche Knochenarten werden unterschieden?
PLATTE KNOCHEN: Dies sind feste und leichte plattenförmige Knochen wie das Schulterblatt oder das Darmbein. Sie umschließen meist empfindliche Organe.
SESAMBEINE: Dies sind kleine Knochen, die in eine Sehne eingewachsen sein können. Dort vergrößern sie den Abstand zum Knochen und sorgen für eine größere Hebelwirkung der Sehne. So ist weniger Kraft nötig, um die mit der Sehne verbundenen Knochen zu bewegen. Ein Beispiel für ein Sesambein ist die Kniescheibe.
RÖHRENKNOCHEN: Dies sind die länglich geformten Knochen der Gliedmaßen. Zwischen ihren beiden Knochenenden liegt der Knochenschaft. Röhrenknochen wirken wie Hebel, die mit Hilfe der Muskel bewegt werden. Typische Röhrenknochen sind Oberarm- und Oberschenkelknochen, Elle, Speiche, Zehenknochen usw.
Unregelmäßig geformte Einzelknochen lassen sich keiner der genannten Gruppen zuordnen. Zu ihnen zählt man z. B. Wirbel, Unterkieferknochen oder die Gesichtsknochen des Schädels.
Der Bau eines Knochens
Das Skelett eines Embryos besteht größtenteils aus Knorpel. Daraus entwickeln sich später die Knochen.
Knochen werden außen von der Beinhaut umhüllt. Innen ist diese von Nerven und Blutgefäßen durchsetzt. Außen besteht sie aus Bindegewebe an dem Bänder und Sehnen festgewachsen sind. Bänder verbinden Knochen miteinander. Sehnen hingegen verbinden die Knochen mit den Muskeln und bewegen so die Knochen.
Unter der Beinhaut liegt die feste und harte Knochenrinde. An den verdickten Enden des Knochens ist sie von elastischen Gelenksknorpeln umgeben. Im Hohlraum des Knochenschaftes befindet sich das fettreiche Gelbe Knochenmark.
Unter der Knochenrinde, vor allem an den dickeren Knochenenden, ist der Knochen nicht fest, sondern sieht ähnliche wie ein Schwamm aus. Diese schwammige Knochensubstanz ist aus Knochenbälkchen aufgebaut. In den Hohlräumen befindet sich das Rote Knochenmark, in dem weiße und rote Blutkörperchen gebildet werden.
Die Knochenbälkchen sind so angeordnet, dass sie Druck- und Zugkräfte auffangen und gleichmäßig verteilen können. So erreicht der Knochen eine möglichst große Festigkeit, ist aber durch die Hohlräume nicht zu schwer.



Hast du das gewusst? Ein erwachsener Mensch hat 212 Knochen. Die Anzahl wird häufig unterschiedlich angegeben, da im Fuß oder in der Wirbelsäule zusätzliche Kleinknochen vorhanden sein können. Verwachsene Knochen wie im Becken werden manchmal als ein Knochen, manchmal aber auch getrennt gezählt.

Knochenbälkchen verlaufen nur in Richtung der größten Belastung; so kann Gewicht gespart werden.
Überlege: Warum und wo ahmt der Mensch diese Bauweise nach? Wie heißt die Wissenschaft, die Konstruktionen aus der Natur für die Technik nutzt?

Beinhaut
Knochenrinde
rotes Knochenmark Blutgefäße
Knochenbälkchen
Wachstumsfuge
Röhrenknochen Längsschnitt

MERKE: Lebende Knochen
sind gleichzeitig hart und biegsam.


Wie kann man feststellen, woraus Knochen bestehen?
1. Säurebehandlung:
Dabei werden die Salze aus dem Knochen gelöst, sodass nur die Eiweißfasern übrig bleiben. Der Knochen ist dann so weich, dass man ihn biegen kann.
2. Erhitzen: Hierbei werden die Eiweißfasern verbrannt. Nur das harte Material bleibt zurück, der Knochen ist so spröde, dass er leicht zerbricht.

Biegsamer Knochen nach Säurebehandlung
vererben: hier R weitergeben genetischer Informationen von Lebewesen auf ihre Nachkommen
Betrachte die Knochenstruktur bei Osteoporose! Beschreibe, was dir auffällt!
Bestandteile des Knochens
Knochen müssen sehr hart und widerstandsfähig sein. Gleichzeitig müssen sie aber auch elastisch sein, damit sie nicht so leicht brechen.
Ihre Härte erhalten Knochen durch eingelagerte Salze, vor allem durch Calciumphosphat und Calciumcarbonat (Kalk). Biegsam werden sie durch kollagene Fasern. Das sind dehnbare Eiweißfasern, die auch im Bindegewebe, in Knorpeln und in den Muskeln vorkommen. Kollagen ist das häufigste Eiweiß im Körper.
Knochen werden durch ständigen Ab- und Aufbau erneuert. Im Alter überwiegt der Abbau. Es verringern sich die Mengen an Kollagen und eingelagerter Salze. Die Knochen werden schwächer und spröder. Sie brechen bei älteren Menschen leichter.
Gesunde Knochen für eine lebenswerte Zukunft
Die Ernährung spielt eine wichtige Rolle für die Entwicklung deiner Knochen. Je mehr Calcium sich in deine Knochen einlagert, desto fester werden deine Knochen. Milch und Milchprodukte wie Jogurt, Käse oder Topfen sind die Hauptquelle für Calcium. Aber auch manche getrockneten Früchte, grünes Gemüse oder Vollkornbrot sind wichtige Calciumlieferanten.
Auch Vitamin D unterstützt die Knochenbildung und ist für die Knochendichte und die Stabilität wichtig. Vitamin D ist vorwiegend in Fisch enthalten. Vielen Produkten wie Milch, Milchalternativen und Haferflocken wird es zugesetzt. Durch UV-Licht, das auch Teil der Sonnenstrahlung ist, wird es in der Haut selbst gebildet. Bei Mangel kann es in Kapseln eingenommen werden.
TIPPS FÜR GESUNDE KNOCHEN
2 ausreichende Zufuhr von Calcium (800 mg), Vitamin D und Phosphor
2 Ausgeglichenes körperliches Training erhöht die Knochendichte.
Gefahren für die Knochen





Die wichtigsten Bestandteile von Knochen sind die Beinhaut, die Knochenrinde, elastische Gelenkknorpel, das Knochenmark und die Knochenbälkchen Knochen sind gleichzeitig hart und biegsam. Sie bestehen aus Salzen und dehnbaren Eiweißfasern.
OSTEOPOROSE: Bei dieser Knochenkrankheit vermindert sich die Knochenmasse. Die Knochenbälkchen werden dünner, die Knochen brüchig. Osteoporose entwickelt sich sehr langsam, meist im Alter, wenn zu Hormonveränderungen ein Kalziummangel hinzukommt. Sie wird oft überhaupt erst nach einem Knochenbruch erkannt. Häufig sind Wirbel, Handgelenke oder Hüften von solchen Brüchen betroffen. Osteoporose kann auch vererbt werden und durch ungesunde Lebensweise entstehen. Viel Bewegung, auf Calcium und Vitamin D bedachte Ernährung sowie die Vermeidung einer ungesunden Lebensweise können Osteoporose verhindern.
Knochenstruktur bei Osteoporose





KNOCHENFRAKTUR: Bei Überbeanspruchung können Knochen brechen. Bei einem offenen Bruch durchbohrt der Knochen das umliegende Muskel- und Hautgewebe. Bei einem geschlossenen Bruch geschieht das nicht. Nach einem Bruch muss der Knochen wieder eingerichtet und ruhig gestellt werden, damit er richtig verheilen kann. In manchen Fällen werden dazu auch Schrauben oder Platten benötigt, mit denen die Knochenteile fixiert werden.

1) Welche Knochen des Skeletts hast du dir noch aus der 1. Klasse gemerkt? Ordne die folgenden Begriffe der Abbildung so zu, dass du die Pfeile mit Lineal richtig ziehen kannst! %%%%%

Unterkieferknochen © Oberschenkelknochen © Schläfenbein © Oberkieferknochen © Zehenknochen © Beckenknochen © Oberarmknochen © Mittelhandknochen © Stirnbein © Fußwurzelknochen © Mittelfußknochen © Schlüsselbein © Schulterblatt © Elle © Speiche © Fingerknochen © Schienbein



































2) „Biegsame Knochen”: Führe folgenden Versuch zu Hause durch! %%%
Material: Essig, Hühnerknochen, Trinkglas
Versuchsdurchführung: Lege den Hühnerknochen in ein Glas und fülle so viel Essig ein, dass der Knochen mit der Flüssigkeit bedeckt ist! Erneuere im Abstand von einigen Tagen den Essig immer wieder! Nach ein bis zwei Wochen ist der Knochen dann elastisch und biegsam.

3) Wissenswertes über die Wachstumsfuge! Zu jedem Satz gehört ein zweiter dazu. Kennzeichne diesen mit dem entsprechenden Buchstaben! %%
A. Am Übergang vom Gelenkskopf zum Knochenschaft liegt die Wachstumsfuge.
B. Sie besteht aus Knorpel.

Dies geschieht ungefähr ab dem neunzehnten Lebensjahr.

Während du wächst, wird hier neue Knochensubstanz gebildet.
C. Die Epiphysenfuge ist der Ort des Knochenwachstums – der Ossifikation. Man nennt sie auch Epiphysenfuge.
D. Bei Erwachsenen ist diese Fuge geschlossen, da der Knochen nicht mehr wächst.


Dieser weist eine hohe Druckelastizität auf.

4) Knochen-Quiz! Beantworte folgende Fragestellungen! %%%% Wie viele Punkte schaffst du?
a) Welche Eigenschaften müssen Knochen aufweisen? 3/
b) Wodurch erhalten Knochen ihre Härte? 1/
c) Was verursacht ihre Biegsamkeit? 1/
d) Was geschieht mit deinen Knochen, je älter du wirst? 1/
e) Nenne 4 Nahrungsmittel, die viel Calcium enthalten! 4/
f) Welches Vitamin unterstützt die Knochenbildung? 1/
meine PUNKTE
5) Lies die folgende Kurzmeldung genau durch! Dann markiere jene Aussage, die falsch ist! %%%

Die Knochenstruktur bei Erwachsenen hängt auch von Sexualhormonen wie Östrogen oder Testosteron ab. So leiden Frauen häufiger unter Osteoporose als Männer. Die Knochendichte nimmt ab dem 30. Lebensjahr durchschnittlich um etwa 0,5 % im Jahr ab. Bei Frauen führt der Östrogenmangel nach den Wechseljahren verstärkt zu Osteoporose.
Wechseljahre: hormonelle Umstellung einer Frau, die das Ende der Fortpflanzungsfähigkeit bedeutet
Sexualhormone beeinflussen die Knochenstruktur.
Männer leiden weniger oft an Osteoporose als Frauen.
Ab dem 30. Lebensjahr nimmt die Knochendichte ab.
In den Wechseljahren gibt es einen Östrogenmangel bei Frauen.
Männer erkranken häufiger als Frauen an Osteoporose.
Durch Unfälle, falsche Bewegungsabläufe oder falsche Haltung können Schäden am Skelett, den Gelenken oder der Muskulatur entstehen. In manchen Fällen sind solche Erkrankungen auch angeboren.
Wenn sich die normale doppelte S-Krümmung der Wirbelsäule verändert, spricht man von Haltungsschäden der Wirbelsäule. Diese können durch nachlässige „Haltung“ oder schwache Muskulatur entstehen.
Achte bei Menschen deiner Umgebung auf die Haltung! Mache sie, wenn es dir passend erscheint, auf Fehlhaltungen aufmerksam!
richtige Haltung
Seitliche verkrümmung der Wirbelsäule (Skoliose)

Haltungsschäden der Wirbelsäule
Haltungsschäden vorbeugen
Viele Menschen üben heute Tätigkeiten aus, bei denen sie hauptsächlich sitzen müssen. Denke dabei an Arbeiten am Computer. Um Haltungsschäden zu vermeiden, sollte die Wirbelsäule gleichmäßig belastet werden. Deshalb ist es wichtig, folgende Regeln zu beachten:
1. Bevor ich zu arbeiten beginne, mache ich folgende Übung: Ich stelle beide Beine gerade auf den Boden und spreize sie leicht. Die Hände lege ich auf die Oberschenkel.
3. Die Halswirbelsa ule strecke ich s o nach oben, als wu rde ich meinen Scheitel gegen ein Brett drücken wollen.

2. Nun richte ich meinen Oberko rper auf, indem ich den Brustkorb nach vorne schiebe und das Brustbein anhebe. Mein Becken kippt dad urch leicht nach vo rne.

ACHTUNG!
Auch beim Fernsehen oder Computerspielen solltest du auf diese Sitzhaltung achten. Lass deinen Oberkörper nicht nach vorne sinken, weil dabei deine Bandscheiben an der Vorderseite der Wirbelsäule zusammengedrückt werden.
„Sitz gerade!“
Ganze Generationen von Kindern bekamen diese Aufforderung zu hören.


Etwa die Hälfte der Schulkinder zwischen 7 und 11 Jahren hat Haltungsschäden. 90 % der Haltungsschäden sind nicht angeboren, sondern durch falsche Haltung im Kindesalter erworben.

… In letzter Zeit behaupten mehr und mehr Experten, dass es viel besser sei, dynamisch zu sitzen, anstatt starr und gerade im Sessel zu kleben.
Onlinestandard 13.3.2013





Ständiges starres Sitzen ist eine große Belastung für die Bandscheiben. Wichtig ist Bewegung und oftmaliges Ändern der Sitzhaltung. Ebenso sollte bei Tätigkeiten, die nicht unbedingt im Sitzen verrichtet werden müssen, aufgestanden und im Raum umhergegangen werden.
Übungen, die deine Wirbelsäule stärken
Wenn du täglich 5 bis 10 min diese Übungen machst, kannst du Haltungsschäden vorbeugen.

1. Sitzende Ausgangposition: Das Gesäß langsam vom Stuhl abheben. Die Knie bleiben gebeugt und der Oberkörper aufrecht. Die Arme langsam parallel nach vorne strecken, dabei die Handflächen nach oben drehen. Körperspannung halten und den Oberkörper wiederholt nach links und rechts drehen.

2. Rückenlage: Entspannt auf den Rücken legen. Beine anwinkeln und langsam nach links senken, ein paar sek halten und dann nach rechts senken und wieder ein paar sek halten. Diese Übung mehrmals wiederholen!

3. Rückenlage: Beide Beine gleichzeitig vom Boden heben, in den Knien beugen und Richtung Oberkörper heranziehen. Mit beiden Händen die Knie umfassen und unter Muskelanspannung ca. 30 sek halten.

4. Vierfüßler: Kinn zur Brust ziehen, Bauch anspannen und Rücken rund machen (nach oben drücken) und wieder absenken.
Bewegung ist wichtig – aber richtig!
Tipps und Hinweise

2 Atme bei diesen Übungen immer gleichmäßig aus und ein!
2 Vermeide ruckartige Bewegungen!
2 Führe die Bewegungen langsam und präzise aus!
2 Halte die Endposition einer Übung so lange wie möglich!
2 Mache bei jeder Übung bis zu drei Wiederholungen!
Achtung – Verletzungsgefahr
Bisher hast du folgende Verletzungen und Erkrankungen des Skeletts kennengelernt:
2 Bandscheibenvorfall (Verletzung der Wirbelsäule)
2 Haltungsschäden an der Wirbelsäule
2 Schäden des Fußskeletts
2 Knochenbrüche
2 Osteoporose
BEDENKE: Auch Gelenke können verletzt werden!


VERSTAUCHUNG: Bei einem Unfall oder Sturz werden aufgrund der außergewöhnlichen Krafteinwirkung die Gelenkskapsel und die umgebende Muskulatur sowie die Bänder stark überdehnt. Es kann dabei zu Blutergüssen (blaue Verfärbung) oder Bänderrissen kommen.


PRELLUNG: Sie entsteht durch einen Schlag oder Stoß. Diese Verletzung kann eine Schwellung oder einen Bluterguss nach sich ziehen.



ZERRUNG: Werden Bänder eines Gelenks oder Muskeln stark überdehnt, spricht man von einer Zerrung.
VERRENKUNG: Wenn ein Gelenk in eine Richtung bewegt wird, für die es nicht geeignet ist, kann es zu einer Verrenkung kommen. Dabei werden die Gelenksflächen so weit gegeneinander verschoben, dass der Gelenkskopf aus seiner normalen Position springt. So kann es zu Bänderrissen oder Verletzungen der Gelenkskapsel kommen. Die das Gelenk bildenden Knochen müssen in diesem Fall von einem Arzt oder einer Ärztin reponiert werden. reponieren: einrenken, richtig positionieren
Verletzungen vorbeugen!
Trainierte kräftige Muskulatur hilft, Knochenverletzungen zu vermeiden. Viele Verletzungen können durch richtiges Verhalten vor, während und nach dem Sport vermieden werden.
2 angemessen trainieren: Überlastung vermeiden und nicht übertreiben
2 abwechslungsreich und regelmäßig trainieren: z. B. Laufen, Schwimmen, Radfahren, Ballspiele
2 aufwärmen: Anregung der Durchblutung und Vorbereitung des Körpers auf die folgenden Belastungen
2 passende Ausrüstung bzw. Schutzausrüstung tragen: Helm, Ellenbogen- und Knieschoner

Erste Hilfe bei Unfällen
Wenn es trotz aller getroffenen Vorkehrungen zu einem Sportunfall und einer Sportverletzung kommt, halte dich an die PECH-Regel:





Wenn du dich beim Sport verletzt hast, reagierst du meist automatisch richtig R du hörst sofort auf.
HE CDer betroffene Körperteil soll ruhig gestellt werden. Lege eine PAUSE ein!
Kühle die verletzte Stelle! Dadurch verengen sich die Blutgefäße, der Stoffwechsel im Gewebe wird verlangsamt und so die Ausdehnung des Gewebeschadens verringert. Auch der Schmerz wird durch Kälte vermindert.
Achte darauf, dass Eis oder Kältepackungen niemals direkt auf die Haut gelangen R z. B. Tücher verwenden!
Lege einen Druckverband an! Damit wird die mögliche Schwellung weitgehend verhindert.
ACHTUNG: Wickle den Druckverband aber nicht zu fest, damit die Durchblutung nicht gestört wird.
Mit dem Hochlagern und Ruhigstellen des verletzten Körperbereiches wird der Rückfluss des Blutes aus dem verletzten Körperteil erleichtert.
Dadurch wird die aus der Verletzung austretende Flüssigkeit besser abtransportiert.

Gegen Haltungsschäden an der Wirbelsäule helfen Wirbelsäulengymnastik und eine gute Haltung z. B. beim Sitzen. Bei den meisten leichteren Verletzungen wie Verstauchung, Verrenkung, Prellung oder Zerrung hilft das P E C H-Verfahren


WICHTIG: Suche bei einer akuten Verletzung nach den Sofortmaßnahmen zur genauen Diagnose eine Ärztin oder einen Arzt gegebenenfalls in einer Unfallambulanz auf!


Wie das Skelett aufgebaut ist, wie die Knochen miteinander verbunden sind und wie sie sich bewegen, hast du bereits kennengelernt. Unsere Bewegungen entstehen aber erst, wenn mehrere Muskeln zusammenspielen.
Willkürliche Muskeln: Eine Vielzahl der Muskelbewegungen können wir selbst steuern und kontrollieren. Die dafür verantwortlichen Muskeln bilden die Skelettoder quergestreifte Muskulatur.
Unwillkürliche Muskeln: Es gibt aber auch Muskeln in unserem Körper, die wir nicht willkürlich steuern können. Diese ist die Eingeweidemuskulatur. Sie wird wegen der fehlenden Querstreifung auch glatte Muskulatur genannt.
Eine Sonderstellung nimmt die Herzmuskulatur ein, denn du kannst sie nicht willkürlich steuern, obwohl sie eine Querstreifung wie die Skelettmuskeln aufweist.
Skelettmuskeln
Die Skelettmuskulatur wird von uns willkürlich gesteuert. Mehr als 600 quergestreifte Muskeln umhüllen unser Skelett, um jedem Körperteil seine Beweglichkeit zu verleihen. Sehnen verbinden Muskeln und Knochen.

Was ist die quergestreifte Muskulatur?


Oberarmbeuger Bizeps
Oberarmstrecker Trizeps
seitliche Bauchmuskeln sind Dreher
Adduktoren des Hüftgelenks
Mittlerer Gesäßmuskel ein Spreizer
Großer Gesäßmuskel Gluteus (maximus) ein Dreher
Beinstrecker Quadrizeps
Trapezmuskel ein Festiger
Beinbeuger Beinbizeps
Selbst bei einfachen Bewegungen sind ganze Gruppen von Muskeln beteiligt, das Zusammenwirken ist sehr komplex. Trotzdem ist es möglich, Muskeln nach ihrer Funktion oder Aufgabe einzuteilen.

Unter dem Mikroskop sieht man bei willkürlichen Muskeln typische Querstreifen. Diese entstehen durch die regelmäßige Anordnung der Muskelfasern und durch die unterschiedlichen Strukturen der Eiweißfäden in den Fasern.
Einteilung der Muskeln nach Funktion oder Aufgabe:
Festiger: Muskeln, die Teile des Skeletts zusammenhalten bzw. unsere Körperhaltung ermöglichen

Anzieher oder Adduktoren: ziehen z. B. Gliedmaßen an den Körper heran

Spreizer oder Abduktoren: ermöglichen das seitliche Wegspreizen oder Heben eines Körperteils.

Dreher oder Rotatoren: führen Drehbewegungen aus, z. B. Kopf oder Rumpf

Beuger: veranlassen die Beugung an einem Gelenk

Strecker: vollziehen die Streckung eines Gelenks, z. B. Strecken des Beines

komplex: vielfältig, schwierig
Erinnere dich! In der 1. Klasse hast du das Prinzip der entgegengesetzten Wirkung von Muskeln kennengelernt. Erkläre anhand dieser Abbildung deiner Sitznachbarin/deinem Sitznachbarn, wie Beuger und Strecker sich ergänzen!

Beuger

Gegenspieler/Antagonisten


Was sind Synergisten?
Haben Muskeln ähnliche oder gleiche Wirkung und arbeiten sie zusammen, spricht man von Synergisten.

Ein Skelettmuskel besteht aus vielen Muskelfaserbündeln . Diese setzen sich aus mehreren quergestreiften Muskelfasern zusammen, die wiederum aus fadenförmigen Eiweißfasern bestehen. Die Eiweißfasern lassen sich in noch kleinere Einheiten, die man Myofilamente nennt, zerlegen. Außen ist ein Skelettmuskel von der Muskelhaut umgeben.
Muskelfaserbündel

Im Unterschied zur Skelettmuskulatur arbeitet die Eingeweidemuskulatur automatisch, ohne dass wir sie beeinflussen können. Sie gehört daher zur unwillkürlichen Muskulatur
Der Darm wird von zwei Muskelschichten umgeben: Die innere Schicht besteht aus ringförmigen Muskeln, die den Darm einschnüren können. Die Muskeln der äußeren Schicht verlaufen in Längsrichtung und verkürzen den Darm. Gemeinsam befördern diese beiden Muskelschichten den Nahrungsbrei im Darm weiter. Unwillkürliche Muskulatur bewirkt auch den Nahrungstransport in der Speiseröhre.
Ringmuskel Muskulatur des Darms

Längsmuskel



Die Skelettmuskulatur kann nach ihrer Funktion in Festiger, Anzieher, Spreizer, Dreher, Beuger und Strecker unterteilt werden. In ihrem komplexen Zusammenwirken kann zwischen Antagonisten und Synergisten unterschieden werden. Die Eingeweide- und die Herzmuskulatur sind nicht unserem Willen unterworfen.


Das Herz besteht aus einem Hohlmuskel. Wenn dieser sich zusammenzieht, funktioniert er wie eine Pumpe. Auch die Herzmuskulatur weist quergestreifte Fasern auf, ist aber trotzdem nicht unserem Willen unterworfen
Herzmuskulatur bei einer Operation 3 cm

Die Eingeweidemuskulatur und die Herzmuskulatur ermüden kaum. Die Skelettmuskulatur ermüdet jedoch rasch, wenn man wie beim Gewichtheben immer wieder die gleichen Muskeln beansprucht. Das Ermüden der Skelettmuskulatur kann durch gezieltes und richtiges Muskeltraining hinausgezögert werden.

1) Muskelwirrwarr – Welche Funktionen haben die einzelnen Muskelgruppen? Verbinde die Muskelgruppe mit einem Pfeil mit ihrer Funktion! Dann bemale in der Skizze unten jeweils ein Beispiel mit den Farben der Kästchen! %%%
Strecker
Anzieher
Dreher
Festiger
Beuger
Spreizer
sind Muskeln, die Teile des Skelettes zusammenhalten bzw. unsere Haltung ermöglichen.
vollziehen eine Streckung eines Gelenks, z. B. Strecken des Beines.
oder Adduktoren ziehen z. B. Gliedmaßen an den Körper heran.
oder Abduktoren ermöglichen das seitwärts Wegspreizen oder Heben von Körperteilen.
führen Drehbewegungen aus, z. B. Kopf.
veranlasst die Beugung in einem Gelenk, z. B. Finger.


2) Hier hat der Computer die Buchstaben wichtiger Muskelteile nach dem Alphabet geordnet. Entschlüssle die Wörter und schreibe sie auf den Notizzettel daneben!%
Ein Skelettmuskel besteht aus vielen a b d e e e f k l l M n n r s s u ü . Diese setzen sich aus mehreren quergestreiften a e e f k l M n r s s u zusammen, die wiederum aus fadenförmigen a E e e f i i n r s ß w bestehen. Diese Eiweißfasern lassen sich in noch kleinere Einheiten, die Myofilamente, zerlegen. Außen ist ein Skelettmuskel von der a e h k l M s t u u umgeben.




3) Nun verwende diese Begriffe zur Beschriftung dieser Abbildung! Zeichne auch die Pfeile richtig ein! %%









4) Was gehört zu welcher Muskulatur? Schreibe S für Skelettmuskulatur, E für Eingeweidemuskulatur oder H für Herzmuskulatur in die Kästchen! Achtung: Manchmal musst du auch 2 Buchstaben schreiben! %%




















Unter Atmung versteht man nicht nur das Ein- und Ausatmen. Vielmehr geht es hier um einen komplexen Vorgang im ganzen Körper. Dabei wird jede Zelle deines Körpers mit Sauerstoff versorgt. Diesen benötigt die Zelle, um aus Nährstoffen Energie zu beziehen. Wir unterscheiden zwischen dem Gasaustausch in der Lunge und dem Gasaustausch in den Körpergeweben
Gasaustausch in der Lunge
Beim Einatmen gelangt Luft durch die Nase in die Nasenhöhle oder durch den Mund in die Mundhöhle. Dann strömt sie weiter durch den Rachen und den Kehlkopf. Sie wird dabei angefeuchtet und erwärmt.
Atmen durch die Nase: Hier wird die Luft gereinigt. Feiner Staub oder Krankheitserreger bleiben an den Härchen in der Nase oder an den Flimmerhärchen der Riechschleimhaut hängen. Mit Hilfe der Riechschleimhaut werden auch schädliche Stoffe in der Atemluft erkannt.

Kehlkopf
Nasenhöhle Mundhöhle
Luftröhre
Bronchien
Atmen durch den Mund: Hier strömt die Luft direkt durch Rachen und Kehlkopf. Kalte Luft kann zu Erkrankungen der Bronchien oder der Lungen führen. Außerdem wird die Luft nicht gereinigt. So können Krankheitserreger leichter in den Körper eindringen. Deswegen ist es ratsam, so oft wie möglich durch die Nase zu atmen.
Versuche, anhand dieser Abbildungen die Bauch- und Brustatmung zu erklären!


Wie oft atmest du in der Minute? Notiere die Atemzüge, wenn du ruhig sitzt und nachdem du eine Stiege hinauf und hinunter gelaufen bist! Erkläre den Unterschied mit eigenen Worten!

Lungenflügel Bronchiolen Lungenbläschen
Zwerchfell
In den Alveolen findet der Gasaustausch statt. Dabei nimmt das sauerstoffarme Blut Sauerstoffmoleküle durch die dünnen Kapillarwände auf. Die roten Blutkörperchen im Blut binden den Sauerstoff. So wird er in den gesamten Körper transportiert. Gleichzeitig wird Kohlenstoffdioxid in die Lungenbläschen abgegeben und in weiterer Folge ausgeatmet.
Hat die Atemluft den Kehlkopf passiert, gelangt sie weiter durch die Luftröhre, die sich in die beiden Bronchien teilt. Die Bronchien verzweigen sich im rechten und im linken Lungenflügel immer weiter in die Bronchiolen. An deren Enden befinden sich die kugeligen Lungenbläschen, die Alveolen. Diese sind von feinsten Blutgefäßen, den Kapillaren, umgeben.

Wie verändert sich die Luft beim Atmen? Die eingeatmete Luft enthält 21 % Sauerstoff und 0,04 % Kohlenstoffdioxid. Beim Ausatmen beträgt der Sauerstoffanteil nur noch 16–17 %. Dafür steigt der Kohlenstoffdioxidanteil auf 4–5 %.

Lungenbläschen (Alveolen)

Körpergewebe

Kapillare
Gasaustausch in den Geweben
Feinstaub: winzige Teilchen in der Luft, kleiner als 10 μm; gelangen bis in die feinsten Bronchiolen und in die Lungenbläschen
Wo bist du selbst Schadstoffen in der Luft ausgesetzt? Was kannst du tun, um Schadstoffe zu vermeiden?
Infektion: Ansteckung
Epidemie: massenhaftes
Auftreten einer Krankheit in einem bestimmten Gebiet

Sauerstoffreiches Blut strömt von der Lunge zum Herzen und wird von dort in den Körper gepumpt. Es versorgt die Zellen in den unterschiedlichen Geweben, die mit feinsten Kapillaren durchzogen sind, mit Sauerstoff. Gleichzeitig nimmt das Blut Kohlenstoffdioxid aus den Zellen auf. Sauerstoffarmes Blut strömt zum Herzen weiter und von dort zur Lunge. Nun erfolgt wiederum ein Gasaustausch.
Die Innenwände der Atemwege sind mit einer dünnen Schleimschicht überzogen. Feine Flimmerzellen dieser Schleimschicht transportieren durch ständige Bewegungen Fremdpartikelchen wie Staub aus den Atemwegen heraus. Haben sie den Kehlkopf passiert, werden sie ausgehustet oder verschluckt.
Flimmerhaare

Flimmerzellen
Gewebe
Schleimbildende Zellen
20 μm
Mit der Atemluft können auch Schadstoffe in deine Atemwege gelangen. Verunreinigungen der Luft wie Staub bzw. Feinstaub lagern sich dann an den feinen Flimmerhärchen ab und verkleben sie. Schadstoffe aus der Luft behindern die Sauerstoffaufnahme oder können krebserregend sein.
Auch Krankheitserreger wie Bakterien, Pilzsporen oder Viren werden mit der Atemluft eingeatmet. Sie können zu Infektionskrankheiten wie Schnupfen, Husten oder Halsentzündungen führen. Neben diesen harmlosen Atemwegserkrankungen gibt es auch schwerwiegende Erkrankungen, wie diese Tabelle zeigt:
Erkrankung der … verursacht durch … Symptome
Bronchitis




Beim Atmen passiert die Luft die Nasen- oder Mundhöhle, den Kehlkopf, die Luftröhre und die Bronchien und gelangt in die Lungenflügel. Am Ende der Bronchiolen findet in den Alveolen der Gasaustausch statt. In den Zellen der Gewebe kommt es zu einem weiteren Gasaustausch.

Bronchitis, Lungenentzündung, Asthma und Tuberkulose sind schwerwiegende Erkrankungen der Atemwege.


Lungenentzündung
Asthma

Infektion der Bronchien Bakterien oder Viren
Infektion der Lunge Bakterien oder Viren
Entzündliche Erkrankung der Atemwege
Allergien, seelische und körperliche Belastungen, Schadstoffe
Tuberkulose Infektion der Lunge Bakterien; durch Tröpfchen beim Niesen und Husten übertragen
Atemwege schwellen an; Atmen fällt schwer
Atemwege schwellen an; Atmen fällt schwer
krampfhaftes Zusammenziehen der Bronchien; Anschwellen der Schleimhäute; akute Atemnot
starker Husten und Atemnot
ACHTUNG: Eine Tuberkuloseerkrankung ist meldepflichtig, da sie sehr ansteckend ist. Diese Krankheit ist behandlungspflichtig, da die Gefahr einer Epidemie gebannt werden soll.

Nun geht‘s los – Aufgaben für schlaue Köpfe!
1) Wie funktioniert der Gasaustausch in den Alveolen, wie in den Körpergeweben? Wähle einen der beiden aus und beschreibe diesen mit eigenen Worten! %%%%


2) Heimat bist du schlechter Luft – Hier geht es um die Feinstaubbelastung! Interpretiere diese 3 Grafiken und betrachte auch diese Fotos! Verfasse dann einen Bericht in deinem Heft! Überlege dir auch eine treffende Schlagzeile! %%%%



















3) Was ist was? – Welche Atemwegserkrankungen werden hier beschrieben? Ordne die Begriffe den Erklärungen zu, indem du die Anfangsbuchstaben zuordnest! %%





Bakterien oder Viren verursachen diese Infektion der Bronchien. Die Atemwege schwellen an, das Atmen wird erschwert.
Bakterien oder Viren verursachen diese Infektionskrankheit der Lunge. Hohes Fieber, schmerzhafte Hustenanfälle und Atemnot treten auf.








Sie kann durch Allergien oder auch seelische Belastungen ausgelöst werden. Die Bronchien ziehen sich krampfartig zusammen, die Schleimhäute schwellen an und akute Atemnot ist die Folge.

Sie wird durch Bakterien verursacht. Sehr starker Husten und Atemnot sind Anzeichen dafür. Diese Krankheit ist meldepflichtig, da sie sehr ansteckend und behandlungspflichtig ist. Die Ansteckung erfolgt über Erreger in den ausgehusteten Tröpfchen in der Luft.







4) Jugendliche rauchen weiterhin am meisten! – Verfasse zu dieser Schlagzeile einen eigenen Artikel in deinem Heft! Diese Grafik, der Informationstext und die Schlagwörter im Kästchen helfen dir dabei. ACHTUNG: Warne vor den Folgen des Nikotinkonsums und begründe deine Argumente! %%%%%
Raucher in Österreich
Anteil regelmäßigen Raucher Einstiegsalter
25 % Bevölkerung gesamt
31 % Männer
21 % Frauen
27 %
15 - 24-jährige
27 %
25 - 39-jährige
32 %
40 - 54-jährige


20 % über 55-jährige

Wann wurde die erste Zigarette geraucht (Angaben der regelmäßigen Raucher) bis 15 Jahre
15-17 Jahre


Quelle: EBS 506 2020



Rauchen kann bewirken:
- Raucherlunge Teerteilchen gelangen in die Lunge. Sie ziehen eine dunkelgraue Färbung des Lungengewebes nach sich. Die Teerteilchen erschweren den Gasaustausch, können Entzündungen hervorrufen oder Krebserkrankungen verursachen.
- Raucherhusten dazu kommt es, da die Tätigkeit der Flimmerhärchen eingeschränkt ist.
- Lungenkrebs bösartige, wuchernde Veränderung im Lungengewebe
- Raucherbein dazu kommt es, da das Nikotin im Rauch Durchblutungsstörungen verursacht.
Prävention © Rauchergesetzgebung © Aufklärung © Passivrauchen © Risikobewusstsein © Gesundheitsförderung © regelmäßige Raucherinnen/Raucher durchschnittlich 1 Packung pro Tag
Die Nährstoffgruppen
Nahrungsmittel werden in 3 Nährstoffgruppen eingeteilt:




EIWEIßE
KOHLENHYDRATE FETTE



KOHLENHYDRATE: Diese setzen sich vor allem aus den folgenden Zuckerbausteinen zusammen.

Glucose u. Fructose/ Traubenzucker u. Fruchtzucker gelangen über die Verdauung rasch ins Blut; lassen den Blutzucker rasch ansteigen und relativ schnell wieder sinken R Sättigungsgefühl hält nur kurz an.
Saccharose u. Lactose/ Rübenzucker, Milchzucker, Maltose/Malzzucker sind eine Verknüpfung von zwei Einfachzuckern; wirken sich auch ähnlich wie Einfachzucker auf den Blutzuckerspiegel aus.
sind eine Verknüpfung von mehreren Einfachzuckern (Kohlenhydrateketten); werden während des Verdauungsvorgangs schrittweise zerlegt R die Einfachzucker werden langsam frei, Blutzucker steigt gleichmäßig R Sättigungsgefühl hält länger an.
Nahrungsmittel mit einem hohen Anteil an Kohlenhydraten sind z. B. Erdäpfel, Reis oder Mehlprodukte.
EIWEIßE: Sie sind aus 20 verschiedenen Aminosäuren aufgebaut. 12 davon kann der Körper selbst herstellen, die anderen 8 müssen mit der Nahrung aufgenommen werden. Eiweiße, fachsprachlich Proteine genannt, nimmst du mit Fleisch, Milch, Milchprodukten, Fisch, Sojabohnen oder Hülsenfrüchten zu dir.
FETTE: Diese sind sehr energiereiche Nährstoffe. Sie setzen sich aus Glycerol und Fettsäuren zusammen. Fettsäuren kommen gesättigt und einfach bzw. mehrfach ungesättigt vor. Alle Arten von Fettsäuren sind für den Körper wichtig. Das Verhältnis von zugeführten gesättigten Fettsäuren zu ungesättigten sollte 1:2 betragen. Zu große Mengen an ungesättigten Fettsäuren erhöhen das Risiko für Herzkreislauferkrankungen.
enthalten … enthaltene Fettsäuren … enthalten in …

Wie viel Nahrung braucht der Mensch? Wir beziehen aus der Nahrung die Energie, die unser Körper täglich benötigt. Der Energiegehalt von Nahrungsmitteln wird in Kilojoule (kJ) angegeben. Ohne körperliche Bewegung benötigt eine Frau mit durchschnittlichen Körpermaßen etwa 6 000 kJ pro Tag, ein Mann etwa 10 % mehr.

tierische Fette
pflanzliche Fette
hohen Anteil an gesättigten Fettsäuren hohen Anteil an ungesättigten Fettsäuren R sind gesünder
einige mehrfach ungesättigte Fettsäuren kann der Mensch nicht genügend herstellen (essenzielle Fettsäuren) manche ungesättigten Fettsäuren kann der Mensch nicht selbst herstellen (essenzielle Fettsäuren)
Besonders vorteilhaft sind kaltgepresstes
Milchprodukten, Speck, Wurst, Fleisch usw.
Olivenöl, Rapsöl, Sonnenblumenöl und Nüsse

Wenn wir uns anstrengen, nimmt der Energiebedarf zu. Bei schwerer körperlicher Arbeit ist er etwa doppelt so hoch. Diesen Energiebedarf sollte der Mensch zu etwa 55 % aus Kohlenhydraten, zu etwa 15 % aus Eiweißen und zu etwa 30 % aus Fetten decken.
ACHTUNG: häufig wird der Energiegehalt noch in Kilokalorien (kcal) angegeben. 4,2 kJ = 1 kcal



Auf dieser Schokolade findet sich folgende Angabe: Energiewert/100g = 564 kcal Wie

Welche Vitamine sind in diesen Mahlzeiten enthalten?

FRÜHSTÜCK
Kaffee mit Milch
Orangensaft
Käse
Radieschen
Banane hartes Ei
Butter
Mittags | CHILI
500 g Rinderfaschiertes
4 Paprika
1 Dose Mais
1 Zwiebel
2 Knoblauchzehen
1 Glas passierte Tomaten
Salz, Pfeffer, Chili
3 EL Sonnenblumenöl

Worauf musst du achten?
Eine vielfältige Ernährungsweise deckt die nötige Vitamin- und Mineralstoffzufuhr gut ab.
Wichtig ist es, auf Frische, Herkunft und Qualität der Nahrungsmittel zu achten. Schonende
Zubereitungsverfahren können den Vitamingehalt der Nahrungsmittel besser erhalten.
Wirkstoffe: Vitamine und Mineralstoffe
Zu den Wirkstoffen zählen Vitamine und Mineralstoffe. Unser Körper benötigt sie nur in kleinen Mengen. Sie regeln verschiedene Körperfunktionen.
VITAMINE … unterteilt man in fettlösliche (A, D, E und K) und wasserlösliche (B, C und H) Vitamine. Die Abbildung zeigt dir, welche Aufgaben Vitamine im Körper haben.
wichtigfürden
StoffwechselundfürVorgängeimZellkern
entzündungshemmend; wichtigfürImmunsystem, Blutgefäße,Muskelnund Fortpflanzungsorgane; reguliertCholesterin undHormonhaushalt
wichtig für Wachstum, Funktion und Aufbau von Haut, Augen und Schleimhäuten
Herzrhythmus,wichtigfürdenfürdie Muskelfunktionsowiefür NervensystemsdieFunktiondes
Stoffwechselwichtigfürden Sauerstoffversorgungsowiefürdie der Körperzellen
wichtig für die Blutgerinnung und für die Festigkeit der Knochen
regeltdenKalzium-haushalt;undPhosphat-wichtigfür denKnochenaufbau
hemmend,entzündungswichtigdenfürdieWundheilung, BlutdruckundfürKörpers;dieAbwehrkräftedes hältHautundSehnenelastisch,hilft beiStress

Quellvermögen: Fähigkeit, Wasser aufzunehmen

Vitamine und ihre Funktion im Körper
wichtig für Herz und Kreislauf, für das Nervensystem sowie für die Blutbildung und die Zellerneuerung; fördert Sauerstoffversorgung
wichtig für den Abbau von Kohlenhydraten, Fetten und Eiweiß sowie für die Wundheilung
VerdauungwichtigfürdievonEiweißKörperabwehrsowiefürdieundfürdasNervensystem
wichtigfürdie Zellteilung,fürden Eiweißstoffwechsel sowiefürdenAufbau vonMuskelgewebe
MINERALSTOFFE … braucht unser Körper zwar nur in kleinen Mengen, doch sie spielen trotzdem eine wichtige Rolle bei unseren Stoffwechselprozessen. Wichtige Mineralstoffe sind Kalium, Calcium, Eisen, Jod, Fluorid, Magnesium und Selen.
Bioaktive Substanzen und Wasser
BIOAKTIVE SUBSTANZEN … sind Stoffe in Lebensmitteln, die keinen Nährstoffcharakter haben, aber gesundheitsfördernd wirken. Dazu zählen Ballaststoffe, Carotinoide (Pflanzenfarbstoffe) und Sulfide (Verbindungen mit Schwefel).
Ballaststoffe gehören zu den Kohlenhydraten, sind aber unverdaulich. Sie regen die Peristaltik des Darms an und wirken so verdauungsfördernd. Ihr hohes Quellvermögen beugt Verstopfung vor. Bei ballaststoffreicher Nahrung ist es besonders wichtig, ausreichend Wasser zu trinken.
WASSER … ist als Lösungs- und Transportmittel sehr wichtig für unseren Stoffwechsel. Ein erwachsender Mensch sollte im Durchschnitt mindestens 2 bis 3 Liter Wasser am Tag trinken. Diese Menge ist je nach körperlicher Anstrengung oder Temperatur unterschiedlich.
Was sagt uns die Ernährungspyramide?
Die 5 Stufen der Pyramide zeigen dir das Verhältnis der Nahrungsmittel, die du am Tag zu dir nehmen sollst.


Prinzip einer gesunden Nahrungsaufnahme
2 von den unteren Stufen reichlich
2 von der Spitze wenig
Erstelle eine Tabelle, in welche du eine Woche lang einträgst, welche Lebensmittel du täglich zu dir nimmst!
Passen die Mengen zur Ernährungspyramide?

Besprecht in Kleingruppen was ihr verbessern könnt!
fett- und zuckerreiche Lebensmittel







Eier, Fisch und Fleisch
Obst und Gemüse stärkehaltige Lebensmittel






Bereits in der frühesten Kindheit eignet man sich ein bestimmtes Essverhalten an. Es ist mitunter abhängig von Vorbildern wie den Eltern oder Freundinnen und Freunden. Auch Schönheitsideale aus den Medien können Einfluss auf das Essverhalten haben. Sehr oft sind psychische Probleme die Ursache für Essstörungen. Diese können am besten in einer Therapie behandelt werden.
ausreichend Wasser

Esssucht: Esssüchtige führen ihrem Körper zu viel Nahrung zu. Das führt meist zu Übergewicht oder Fettleibigkeit/Adipositas. In der Folge treten häufig gesundheitliche sowie soziale Probleme auf. Übergewichtige Menschen fühlen sich häufig als Außenseiter. Deshalb brauchen sie besonders Unterstützung, um ihren Selbstwert zu heben.
Ess-Brech-Sucht/Bulimie: Personen, die an dieser Krankheit leiden, verschlingen große Mengen an Nahrung. Um eine Gewichtszunahme zu verhindern, fasten sie dann mehrere Tage oder erbrechen das Gegessene. Der stark säurehaltige Mageninhalt kann Zahnschmelz und Speiseröhre schädigen. Die Krankheit bleibt häufig unentdeckt, weil die Erkrankten meist ein normales Körpergewicht haben. Folgen der Bulimie können Mangelerscheinungen, Schäden an der Speiseröhre, am Magen und oder an den Zähnen sein. Auch der Hormonhaushalt kann sich verändern.

Besprecht in der Klasse: Welche unterschiedlichen Schönheitsideale gelten für Männer und Frauen?
Hormon: vom Blut transportierter Botenstoff des Körpers
Was ist der Body-Mass-Index (BMI)?

BMI =
Der BMI ist eine Maßzahl für die Bewertung des Körpergewichts. Formel: Körpergewicht (Körpergröße in m)²
Der vor etwa 200 Jahren entwickelte BMI wird häufig zur Einschätzung von Über- und Untergewicht sowie der allgemeinen Gesundheit verwendet. Er steht zunehmend unter Kritik, da er viele Dinge außer Acht lässt. So sind die körperlichen Grundeigenschaften von Menschen verschieden. Wo sich Fett im Körper anlagert, ist wesentlich für die Gesundheit. Bewegung hat einen großen Einfluss auf die Gesundheit, wird im BMI aber nicht berücksichtigt. Für Kinder und Jugendliche werden Durchschnittswerte zum Vergleich genommen, was zu Verzerrungen führen kann.
Welche Faktoren könnten dazu führen, dass der BMI ein falsches Bild von zu viel, oder zu wenig Körpergewicht/-fett liefert?
Welchen BMI hast du? Diskutiert in Kleingruppen und notiert die Ergebnisse!
Menstruation: Regelblutung, Mensis, Monatsblutung Diät: bestimmte Ernährungsweise und Kostform Recherchiere zum Jo-Jo-Effekt bei Diäten!




Binge-Eating-Disorder: Bei Heißhungeranfällen werden mehrmals pro Woche große Mengen an Nahrungsmitteln verschlungen. Nach diesen Heißhungerattacken treten Schuldgefühle auf. Langfristig kann es zu Übergewicht kommen.
Magersucht: Magersüchtige verweigern die Nahrungsaufnahme. Sie halten strenge Diät, setzen Appetitzügler oder Abführmittel ein. Sehr oft verarbeiten sie die aufgenommene Nahrung durch intensive Bewegung.
Mädchen oder Frauen im Alter von 12 bis 25 Jahren erkranken am häufigsten an Magersucht. Eine der Folgen kann das Ausbleiben der Menstruationsblutung und Unfruchtbarkeit sein.
Trotz starker Gewichtsabnahme fühlen sich die Betroffenen zu dick. Die Krankheit wird als sehr gefährlich eingestuft. Ca. 15 % der an Magersucht Erkrankten sterben daran.
Die Diät – eine besondere Ernährungsform

Bei Diäten wird für eine gewisse Zeit die Art und Häufigkeit der Nahrungsaufnahme verändert. Dies dient zur …
2 Gewichtsabnahme oder -zunahme
2 Behandlung von Krankheiten
Diäten ohne das nötige Wissen durchzuführen, kann deinen Körper schädigen und zu Essstörungen führen. Um Mangelerkrankungen durch zu wenig oder einseitige Nahrungsaufnahme während einer Diät zu vermeiden, sollten Diäten immer unter ärztlicher Aufsicht stattfinden. Auch Ernährungsexpert/innen können zu Rate gezogen werden.
Was kannst du für ein gesundes Essverhalten tun?
TIPPS:
2 Achte auf die Signale deines Körpers: Hör auf zu essen, wenn du dich satt fühlst!
2 Trinke täglich mindestens 2 l Wasser, ungesüßte Tees oder mit Wasser verdünnte Fruchtsäfte!

2 Iss frische Lebensmittel, am besten aus der Region, in der du lebst!
2 Iss mehrmals am Tag rohe oder gegarte Obst- und Gemüsesorten!

Unsere Nahrungsmittel setzen sich aus 3 Nährstoffgruppen zusammen: aus Kohlenhydraten, Eiweißen, Fetten. Der Mensch braucht außerdem Vitamine, Mineralstoffe, Ballaststoffe und viel Wasser Esssucht, Bulimie, Binge-EatingDisorder und Magersucht sind ernst zu nehmende Erkrankungen.


2 Bevorzuge Kost arm an gesättigten Fettsäuren also vor allem tierischen Fetten. Vermeide auch Light-Produkte, da diese nur vortäuschen, gesund zu sein!
2 Vermeide hoch verarbeitete Lebensmittel, Lebensmittel mit Zuckerzusatz und Weißbrot.
2 Iss langsam und in Ruhe!
2 Bewege dich viel an der frischen Luft!

Als Verdauung wird die Zerkleinerung von aufgenommenen Nahrungsbestandteilen sowie deren Aufspaltung mit Hilfe von Enzymen bezeichnet. Du kennst bereits die 3 Grundnährstoffgruppen Kohlenhydrate, Eiweiße und Fette. Sie werden im Zuge der Verdauungsvorgänge in ihre Grundbausteine zerlegt, sodass sie im Körper verwertet werden können.
Vom Mund in den Magen
Im Mund wird die Nahrung mit den Zähnen mechanisch zerkleinert und mit dem Mundspeichel aus den Speicheldrüsen vermengt. Das Enzym im Speichel, die Amylase, spaltet bereits Stärke in kleinere Zuckerbausteine auf.
Wird der Nahrungsbrei geschluckt, gelangt er in die Speiseröhre. In dieser wird der Speisebrei durch wellenförmige, fortschreitende Muskelbewegungen, die man Peristaltik nennt, in den Magen befördert.
Vom Magen in den Dünndarm
Pförtner
„Gut gekaut ist halb verdaut!“

Erkläre dieses Sprichwort!
Dünndarm

Muskulatur der Magenwand
Magenschleimhaut
Der Magen ist ein muskulöser, schlauchförmiger Hohlraum, dessen Innenwand mit Schleimhaut ausgekleidet ist. Diese schützt die Magenwand. Die Drüsen der Schleimhaut sondern den Magensaft ab. Dieser ist eine Lösung aus Salzsäure und eiweißspaltenden Enzymen. Die Salzsäure tötet Bakterien ab. Eines der Enzyme, nämlich Pepsin, zerlegt Eiweiße in Bruchstücke.
Enzym: ein Eiweiß, das biochemische Reaktionen steuert

Dünndarm
Durch die Peristaltik der glatten Muskulatur der Magenwand wird der Speisebrei mit dem Magensaft vermischt. Ein ringförmiger Schließmuskel, der Pförtner, lässt nur kleine Portionen des Breis in den Dünndarm
Der Dünndarm des Menschen ist etwa 3 bis 4 m lang. Sein erster Abschnitt ist der Zwölffingerdarm, der ungefähr die Länge von zwölf nebeneinanderliegenden Fingern hat. In ihn münden die Sekrete der Leber, die Galle, die in der Leber gebildet und in der Gallenblase gespeichert wird, und der Bauchspeichel aus der Bauchspeicheldrüse.
Die Galle emulgiert Fette in feine Tröpfchen, die dann leichter durch die Enzyme der Bauchspeicheldrüse zerlegt werden können. Im Bauchspeichel befinden sich auch Enzyme, die Eiweiße aufspalten können, sowie solche, die Kohlenhydrate spalten.
Der Weg der Nahrung
emulgieren: eine Emulsion bilden
Emulsion: Mischung zweier Flüssigkeiten, bei der die eine Flüssigkeit als feine Tröpfchen in der anderen vorliegt

Bauchspeicheldrüse
Chemischer Verdauungsvorgang (Übersicht)
Kohlenhydrate
Amylase (Enzym)
ZuckerBausteine
Amylase (Enzym)
Malzzucker
Maltase (Enzym)
Traubenzucker

Eiweiße Fette
Pepsin (Enzym)
Eiweißbruchstücke
Trypsin (Enzym)
Aminosäuren
Gallensaft
Emulsion
Die Zerlegung der Nährstoffe in ihre Grundbausteine Glycerin, Fettsäuren, Aminosäuren und Traubenzucker wird im weiteren Verlauf im Dünndarm fortgeführt.
Die Resorption von Nahrungsbestandteilen
Die Innenwand des Dünndarms trägt eine Vielzahl von Darmzotten. Diese vergrößern die Oberfläche der Darminnenwand mit bis zu 3 000 Zotten pro cm2. In jede Zotte führen feine Blut- und Lymphgefäße, die die gelösten Stoffe aufnehmen (Resorption).
Muskulatur
Lipase (Enzym)
Glycerin + Fettsäuren
Resorption: Stoffaufnahme in biologischen Systemen
blind: hier R nicht weiterführend
Da man bei Durchfall sehr viel Flüssigkeit verliert, kann diese Erkrankung besonders für Kinder aufgrund ihres geringen Körpergewichts sehr gefährlich sein. Recherchiere zu Durchfall und schreib einen kurzen Sachtext in dein Heft!

Aminosäuren, Traubenzucker und wasserlösliche Fettsäuren gelangen dann in die Leber. Fett wird teilweise auch gemeinsam mit den in Fett löslichen Vitaminen über die Lymphgefäße in den Blutkreislauf gebracht.

Darmzotten

Kapillaren
Das Innere des Dünndarms Darmzotten
Vom Dünndarm in den Dickdarm
Die Peristaltik des Dünndarms befördert den Nahrungsbrei weiter in den Dickdarm. Am Übergang in den Dickdarm befindet sich der wenige cm lange blind endende Blinddarm, der in den Wurmfortsatz ausläuft. Er dient vor allem als Rückzugsgebiet für nützliche Darmbakterien, die nach einer Darmerkrankung den Darm wieder besiedeln.
Der Dickdarm ist etwa 1 m lang. Im Dickdarm wird der Darminhalt eingedickt, indem dem Nahrungsbrei Wasser entzogen wird. So werden insgesamt ca. 1, 5 l Wasser dem Körper wieder zugeführt.


Dünndarm
Blinddarm Wurmfortsatz
Blinddarm und Wurmfortsatz
Im Enddarm (Mastdarm) werden schließlich die eingedickten, unverdaulichen Speisereste, die als Kot ausgeschieden werden, gesammelt.
Einige Erkrankungen des Verdauungssystems



Vom Mund aus gelangt der Speisebrei durch die Speiseröhre in den Magen und weiter in den Dünndarm. In all diesen Organen findet Verdauung statt. Die Blut- und Lymphgefäße in den Darmzotten nehmen die gelösten Stoffe auf. Im Dickdarm wird dem Speisebrei Wasser entzogen. Karies, Gastritis, Magengeschwür, Blinddarmentzündung und Durchfall sind häufige Erkrankungen des Verdauungssystems.


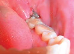
KARIES: Bakterien setzen bereits nach kurzer Zeit den Zucker aus der Nahrung im Mund in Säuren um. Diese Säuren greifen den Zahnschmelz an und die sichtbare Karies entsteht. Dringen die Säuren ungehindert weiter, erreichen sie die Nervenkanälchen des Zahnes – ein ziehender Schmerz ist die Folge. Regelmäßiges, gründliches Zähneputzen kann Karies verhindern.
GASTRITIS: eine Entzündung der Magenschleimhaut, die durch Bakterien oder erhöhte Produktion von Magensaft ausgelöst werden kann. Besonders Stress, aber auch seelische Erkrankungen können Gastritis verursachen, da bei Stress vermehrt Magensäure produziert wird.
MAGENGESCHWÜR: eine durch Bakterien, seelische Erkrankungen, länger andauernden Stress oder durch die Einnahme von manchen Medikamenten ausgelöste Schädigung der Magenschleimhaut.
BLINDDARMENTZÜNDUNG: Nahrungsreste, die ein Entleeren des Wurmfortsatzes erschweren, können zu einer Entzündung führen. Suche bei starken Bauchschmerzen unbedingt eine Ärztin/einen Arzt auf!
In den Zellen des Körpers werden die mit der Nahrung aufgenommenen Nährstoffe verarbeitet. Man spricht von Baustoffwechsel oder Assimilation, wenn körperfremde Ausgangsstoffe wie Kohlenhydrate, Eiweiße, Fette und andere Nahrungsbestandteile in körpereigene Substanzen umgewandelt werden. In diesem Prozess des Energieund Stoffwechsels werden z. B. die Ausgangsstoffe für das Wachstum, die Vermehrung oder den Stoffwechsel selbst gebildet.
Unter Betriebsstoffwechsel oder Dissimilation hingegen werden Stoffwechselvorgänge verstanden, die aus Energiespeichern Energie freisetzen. Diese Energie wird in den Zellen umgesetzt oder als Wärme genutzt. Wird bei der Dissimilation Sauerstoff gebraucht, spricht man von Zellatmung. Bei der Dissimilation werden Stoffe wieder zu körperfremden Stoffen, die ausgeschieden werden müssen.
Erscheinungsbild
Die Leber ist die größte Drüse des menschlichen Körpers und erfüllt im Körper eine wichtige Rolle als Stoffwechselorgan.
Die Aufgaben der Leber sind unter anderem …
2 die Aufrechterhaltung des Betriebsstoffwechsels
2 die Bildung von Blutgerinnungsfaktoren
2 die Produktion der Gallenflüssigkeit
2 der Aufbau von Hormonvorläufersubstanzen
2 die Entgiftungs- und Ausscheidungsfunktionen
Baustoffwechsel:
• Wachstum

• Muskelaufbau
• Hormon-Enzymbildung
• Blutbildung
Durch die Pfortader gelangen Stoffe direkt aus dem Darm über das Blut in die Leberzellen. Sie werden dort sofort verwertet, gespeichert, umgewandelt oder abgebaut.
Gespeichert werden Zucker in Form von Glykogen sowie Fett, Eiweißbausteine (Aminosäuren) und fettlösliche Vitamine (A, D, E, K, B12 sowie B9 Folsäure). Leberzellen können Zucker in Fett, aber auch Eiweiße in Zucker umwandeln. Aus den Eiweißbausteinen kann die Leber außerdem wichtige Eiweiße herstellen. Diese Eiweiße sind notwendig z. B. für die Blutgerinnung, für den Transport von Fetten, für die Bildung von Hormonen oder für die Produktion der Gallenflüssigkeit.
Die Leber ist außerdem ein wichtiges Entgiftungsorgan. Sie wandelt z. B. giftiges Ammoniak in ungiftigen Harnstoff um oder Alkohol in Fett. Die Leber filtert außerdem auch Hormone, alte oder defekte Zellen oder auch Bakterien aus dem Blut. Auch Überreste von Medikamenten werden zum Teil von der Leber entsorgt.
Wasserunlösliche Schadstoffe werden über die Gallenflüssigkeit in den Darm abgegeben.
Wasserlösliche Schadstoffe werden hingegen in das Blut abgegeben.

• Schwangerschaft
• Ersatz von abgestorbenem Gewebe
Betriebsstoffwechsel:
• Regulierung der Körpertemperatur
• muskuläre Tätigkeit
• Aufrechterhaltung der Körperfunktionen

defekt: beschädigt

Nierenvene
Nebenniere
Niere
Nierenarterie
Harnleiter
Harnblase
Nierenpforte

Sitz der Niere
Nierenrinde
Nierenmark
Nierenvene
Nierenarterie
Niere
Die wasserlöslichen Schadstoffe aus der Leber sowie Abbauprodukte und Giftstoffe, die bei der Verwertung der Nährstoffe entstehen, gelangen über das Blut in die Nieren. Diese filtern diese Stoffe aus dem Blut und bilden Harn, der ausgeschieden wird. Die Nieren entziehen dem Blut aber auch Wasser und regeln so den Wassergehalt des Körpers.
Erscheinungsbild und Bau der Nieren
Die Nieren befinden sich auf der Körperrückseite, links und rechts der Wirbelsäule, in der Höhe der unteren Rippen..
Nierenbecken
Harnleiter
Nebenniere

Papille
Nierenkelch
Längsschnitt durch die Niere


Was ist die Henle-Schleife?
Die Henle-Schleife ist ein Teil des Nierenkanälchens und verläuft U-förmig von der Nierenrinde ins Nierenmark und wieder zurück.
absteigender Bereich R Hier wird der Harn konzentriert. aufsteigender Bereich R Hier wird dem Harn hauptsächlich Natrium entzogen.
Die Form der Nieren erinnert an Bohnen. Sie sind ca. 11 cm lang, 6 cm breit und 2,5 cm dick und wiegen ca. 150 g. An ihrer Oberseite befindet sich jeweils eine Nebenniere. Diese ist eine wichtige Hormondrüse. Sie steuert mit Hilfe ihrer Hormone Adrenalin und Noradrenalin Stoffwechselvorgänge und hilft bei der Stressbewältigung.
Die Einkerbung an der jeweiligen Innenseite der Nieren wird Nierenpforte genannt. An dieser Stelle setzen die Blutgefäße – die Nierenarterien und -venen – sowie die Lymphgefäße an.
Im Längsschnitt der Niere kannst du die 3 Bereiche der Niere erkennen: die Nierenrinde, das Nierenmark und das Nierenbecken. Im Nierenbecken wird der Harn gesammelt. Das Nierenbecken liegt im Inneren der Niere seitlich der Nierenpforte. Es ist eine Ausweitung des Harnleiters. Der Harnleiter führt zur Harnblase.
Der Harn wird in der Nierenrinde in den Nephronen gebildet. Davon gibt es in jeder Niere ca. 1 Million. Die Nephronen bestehen aus den kugeligen Nierenkörperchen sowie den Nierenkanälchen und sind von der Bowman-Kapsel umschlossen.

Kapillargefäße
Kapillarknäuel
Henle-Schleife
Sammelrohr

Bowman-Kapsel
Nierenkanälchen
Nephron: Nierenkörperchen und Nierenkanälchen
Der Druck in den Kapillargefäßen presst die Blutflüssigkeit in die Bowman-Kapsel. Dies nennt man Druckfiltration. Kleine Moleküle wie Wasser, Salze oder Harnstoff sammeln sich in den Nierenkanälchen als Primärharn
Wertvolle Stoffe wie Aminosäuren, Zucker oder Salze sowie ein Großteil des Wassers werden in der Henle-Schleife wieder vom Blut aufgenommen.
Den verbleibenden Rest nennt man Sekundärharn. Dieser besteht zu 95 % aus Wasser sowie Abfallstoffen wie Harnstoff, Harnsäure und Salzen. Im Sammelrohr wird der Harn zum Nierenbecken geleitet. Von dort gelangt er im Harnleiter zur Harnblase, wo er gespeichert wird. Pro Tag werden 1,5 bis 2 Liter Harn über die Harnröhre ausgeschieden.
Auf die Nieren achten
Neben ihrer wichtigen Funktion zur „Reinigung“ des Blutes erfüllen Nieren noch weitere wichtige Aufgaben. Unsere Nieren
2 … regulieren den Wasserhaushalt und somit das Blutvolumen, das in den Gefäßen zirkuliert. Das Blutvolumen wiederum wirkt sich auf den Blutdruck aus.
2 … sorgen aber auch dafür, dass der Elektrolythaushalt im Gleichgewicht gehalten wird.
2 … regulieren den pH-Wert (wie basisch oder sauer) der Körperflüssigkeit.
Es ist also sehr wichtig, auf die Nieren zu achten. Was kannst du dafür tun?
Ersetze nasse Badebekleidung nach dem Baden sofort durch trockene und trage auch wärmende (Unter)Bekleidung, damit der Nierenbereich warm gehalten und die Erkältungsgefahr gebannt wird!

Elektrolyt: Stoff, der (meist in Wasser gelöst) in Ionen zerfällt und dadurch elektrisch leitfähig wird. Beispiel: Natriumchlorid.
Argumentiere, weshalb ausreichendes Trinken für die Funktion der Nieren wichtig ist!
Erstelle eine Hypothese über die Folgen von nicht ordnungsgemäß funktionierenden Nieren für den Körper! Überprüfe deine Hypothese, indem du zu Nierenkrankheiten und Nierenversagen recherchierst!

Vermeide am besten Alkohol und Kaffee, weil sie mit ihren Giftstoffen die Nieren belasten!




Vermeide Intimsprays und desinfizierende Lösungen im Intimbereich, weil sie den natürlichen Schutzmantel der Haut schwächen und so die Ausbreitung der Bakterien erleichtern!





Trinke viel (am besten ungezuckerten ) Tee und Wasser!

Gehe bei Harndrang so schnell wie möglich auf die Toilette, um Giftstoffe auszuscheiden!





Wasche täglich deinen Intimbereich mit pH-neutraler Waschlotion, um eine Ausbreitung der Bakterien zu verhindern!
Erkrankungen des Ausscheidungssystems
Wenn Nierenbeschwerden auftreten, muss man diese ernst nehmen. Das Gefährliche an Nierenerkrankungen ist, dass sie erst sehr spät erkannt werden, da die Abnahme der Nierenfunktion schleichend und zunächst unbemerkt erfolgt.
INKONTINENZ/BLASENSCHWÄCHE: Wenn Harn unkontrolliert tagsüber oder nachts austritt, spricht man von Blasenschwäche oder Inkontinenz. Verstärkt kann das beim Husten, Niesen, Lachen oder bei körperlicher Betätigung passieren.
Inkontinenz kann durch Stress, nach einer Geburt, nach Operationen oder durch hormonelle Veränderungen auftreten. Mit einem speziellen Training der Beckenbodenmuskulatur, aber auch durch Medikamente oder Operationen kann Abhilfe geschaffen werden.
Beckenboden: muskulöser Boden der Beckenhöhle; stützt die inneren Organe, kontrolliert Harn- und Stuhlgang und ist auch zuständig für unsere Körperhaltung


Heimlich, still und leise Die Abnahme der Nierenfunktion erfolgt zunächst unbemerkt. Rund 800 000 Österreicher/innen leiden bereits an einer leicht eingeschränkten Nierenfunktion. Wie Expert/innen meinen, ist auch eine leichte Einschränkung bereits ein Risiko für HerzVenenerkrankungen. Onlinestandard – 06. 03. 2013
kristallisieren: Atome und Moleküle ordnen sich zu einem festen Gitter an, wodurch Kristalle entstehen.

Besprecht in der Klasse! Warum kann es in manchen Fällen wichtig sein, Urinuntersuchungen durchzuführen?

NIERENSTEINE: Wenn der Harn zu stark konzentriert ist, können Salze in der Niere oder Blase auskristallisieren und Nierensteine bilden. Diese gelangen manchmal in den Harnleiter, bleiben dort stecken und lösen starke, krampfartige Schmerzen aus, die man Nierenkoliken nennt.
In leichteren Fällen reichen Medikamente zur Behandlung. In schwierigen Fällen müssen Nierensteine durch eine Operation oder spezielle Therapien wie eine Nierensteinzertrümmerung entfernt werden. Viel Wasser trinken beugt der Bildung von Nierensteinen vor.
Nierensteinzertrümmerer: Druckwellen bringen Nierensteine zum Zerbrechen.

INFEKTIONEN DER HARNWEGE: Steigen in der Harnröhre Bakterien auf, können sie eine Blasenentzündung (Blasenkatarrh) hervorrufen. Dabei entsteht das Gefühl ständigen Harndranges und eines Brennens und Stechens beim Harnlassen. Aufgrund ihrer kürzeren Harnröhre und der Nähe der Harnröhre zum Darmausgang sind Frauen häufiger von Harnwegsinfektionen betroffen als Männer.
NIERENBECKENENTZÜNDUNGEN: Wenn die Bakterien über den Harnleiter in das Nierenbecken aufsteigen, kann dies zu einer Nierenbeckenentzündung führen. Diese Erkrankung ist schwerwiegender als eine Infektion der Harnwege, da sie mit Schüttelfrost, Fieber und Nierenkoliken verbunden ist. In diesem Fall unbedingt einen Arzt oder eine Ärztin aufsuchen! Er oder sie kann mit Antibiotika helfen.
NIERENVERSAGEN: Erfüllen beide Nieren ihre Funktion nicht mehr, gibt es für die Betroffene oder den Betroffenen nur mehr 2 Möglichkeiten:

Die Leber erfüllt als Stoffwechselorgan eine Speicher-, Umwandlungs-, Produktions- und Entgiftungsfunktion.


1. Regelmäßige Blutwäsche/Dialyse: Etwa 3 Mal pro Woche müssen Patientinnen und Patienten mehrere Stunden lang ihr Blut mit Hilfe eines Gerätes filtern lassen.
2. Nierentransplantation: Der oder dem Betroffenen wird eine gesunde Spenderniere eingesetzt.
Erkrankungen der Leber

Nieren sind das wichtigste Organ für das Ausscheiden von Abbaustoffen. Im Längsschnitt einer Niere erkennt man die Nierenrinde, das Nierenmark und das Nierenbecken Der Harn wird in den Nephronen gebildet.

Inkontinenz, Nierensteine, Blasen- und Nierenbeckenentzündungen sind ernstzunehmende Erkrankungen der Nieren.



Dialyse
Folgende Schädigungen können die Funktion unseres wichtigsten Entgiftungsorganes, der Leber, einschränken:
FETTLEBER: Durch übermäßige Kalorienzufuhr und Alkoholkonsum kann sich zunehmend Fett in der Leber einlagern. Langfristig können dadurch Hepatitis und Leberzhirrose entstehen.
GELBSUCHT: Diese entsteht bei Störungen des Galleabflusses. Gallenflüssigkeit kann in das Blut übertreten. Es kommt zu einer gelben Verfärbung der Haut.
HEPATITIS: Diese Entzündung der Leber kann verschiedene Ursachen haben. Typische Symptome sind Müdigkeit oder Gelbsucht mit Juckreiz am ganzen Körper.
LEBERZIRRHOSE: Dies ist das Endstadium vieler chronischer Lebererkrankungen, meist hervorgerufen durch übermäßigen Alkoholkonsum oder eine Hepatitiserkrankung. Aufgrund des fortschreitenden Zerfalls kann die Leber ihre vielfältigen Aufgaben nicht mehr erfüllen.

1) Der Weg der Nahrung – Was sind die wesentlichen Stationen des Verdauungssystems? Trage den jeweils passenden Buchstaben in das Feld ein und benenne das Verdauungsorgan! %%%













A: Hier sammeln sich die eingedickten unverdaulichen Speisereste und werden als Kot ausgeschieden.


B: In diesen 3 bis 4 m langen „Schlauch“ münden der Gallensaft und der Bauchspeichel. Fette, Kohlenhydrate und Eiweiße werden hier größtenteils verdaut.



C: Sie bewegt den Speisebrei durch peristaltische Bewegungen in den Magen.

D: In diesem etwa 1m langen Organ wird den Nahrungsresten Wasser entzogen.



E: Die Nahrung wird zerkleinert und mit dem Mundspeichel vermengt. Stärke wird in kleinere Zuckerbausteine aufgespalten.


F: Die Innenwand des muskulösen, schlauchförmigen Hohlraums ist mit Schleimhaut ausgekleidet.

2) Beim Schreiben des Merktextes hat Lisa 6 Fehler gemacht. Bessere diese aus, indem du das falsche Wort durchstreichst und das richtige darüber schreibst! %%

Die Außenwand des Dünndarms trägt einige wenige Darmzotten, etwa 30 pro cm2. Sie
verkleinern die Oberfläche der Darminnenwand um ein Vielfaches. In jede Zotte führen feine Blut- und Lymphgefäße, die die gelösten Stoffe abgeben. Dies nennt man Regeneration.
3) Nun übertrage den richtiggestellten Merktext in dein Heft! Überlege dir auch eine passende Überschrift! %

4) Gesunde Ernährung hat viele Seiten. Eine davon ist der Nährstoffgehalt verschiedener Lebensmittel. Studiere diese Tabelle genau! Welche 3 Nahrungsmittel enthalten besonders viele Kohlenhydrate, welche am wenigsten? %%

Bratwurst
Butter
Chips
Eier
Erbsen
Fisch
Fleisch, mager
Gemüse/Obst
Käse
Kartoffeln
Milch
Roggenbrot
Speck
Vollmilchschokolade
Walnüsse
5) Ausgewogene Ernährung: Erfülle die folgenden Aufgaben: %%%
• Überlege, was du gestern gegessen hast, und trage es in die Tabelle ein!
• Schätze ab, welche Menge du von jedem Nahrungsmittel zu dir genommen hast (in Gramm)!
• Berechne anschließend, welche Mengen an Fett (F), Kohlenhydraten (K) und Eiweiß (E) du gestern gegessen hast und trage die Mengen in Gramm in das Diagramm ein! Suche dazu deine Nahrungsmittel in der Tabelle von Aufgabe 4! Sollten einige nicht enthalten sein, wähle die aus, die dir am ähnlichsten erscheinen!
Frühstück:


Abendessen:
Mittagessen:



Eine ausgewogene Ernährung sollte etwa zu 55 % aus Kohlenhydraten, zu 15 % aus Eiweiß und zu 30 % aus Fett bestehen.
Hast du dich gestern ausgewogen ernährt? JA NEIN
Das Blut macht in unserem Körper rund 8 % des Körpergewichts aus. Je nach Körpergewicht sind das 4 bis 7 l Blut.
In unserem Körper erfüllt das Blut mehrere wichtige Aufgaben:
2 Es transportiert Sauerstoff, Kohlenstoffdioxid, aufgespaltene Nährstoffe, Wasser und Mineralsalze, Vitamine und Hormone sowie Abfallstoffe.
2 Es verteilt die Körperwärme.
2 Es verschließt durch Blutgerinnung Wunden.
2 Es wehrt Infektionen ab.
Bestandteile des Blutes
Die Hauptbestandteile des Blutes sind: die Blutflüssigkeit, die Blutplasma genannt wird, und die festen Bestandteile, die Blutzellen. Zu den Blutzellen zählen die roten und die weißen Blutkörperchen sowie die Blutplättchen. Alle Blutzellen werden im Knochenmark gebildet.

BLUTPLASMA: ca. 60 % des Blutes

Größenvergleich von Blutzellen unter dem Elektronenmikroskop / von links nach rechts: rotes
Blutkörperchen/∅ ca. 7,5 μm (Mikrometer)/Dicke 2 μm, Blutplättchen, weißes Blutkörperchen

Bestandteile: ca. 90 % Wasser, ca. 10 % Proteine und Elektrolyte. Darin gelöst sind: Traubenzucker, Fette, Eiweißstoffe, Salze, Hormone und Abfallstoffe.
Aufgabe: Transport von Kohlenstoffdioxid, Nährstoffen und Abfallprodukten (z. B. Harnstoff)
Enthält: Fibrinogen R sorgt gemeinsam mit den Blutplättchen für die Blutgerinnung u. den Wundverschluss.
Im Blutplasma schwimmen die Blutzellen.

WEISSE BLUTKÖRPERCHEN/Leukocyten: ca. 0,07 % des Blutvolumens
Aufgabe: „Gesundheitspolizei“ unseres Körpers R erkennen körperfremdes Gewebe und Zellen (Krankheitserreger) und machen diese unwirksam
Bildung: im Knochenmark und in den Lymphknoten
BLUTPLÄTTCHEN/ Thrombocyten: ca. 2 % des Blutvolumens
Aufgabe: sorgen für die Blutgerinnung und den Wundverschluss
Bildung: im Knochenmark
Sie sind die kleinsten Blutzellen.





ROTE BLUTKÖRPERCHEN/
Erythrocyten: ca. 40 % des Blutes
Aussehen: scheibchenförmige Zellen ohne Zellkern
Enthalten: Hämoglobin (roten Blutfarbstoff) R kann für einige Zeit Sauerstoff an sich binden.




Überlegt gemeinsam! Warum steigt die Anzahl der weißen Blutkörperchen im Falle einer Infektionskrankheit?
Aufgabe: nehmen Sauerstoff in der Lunge auf R Transport in den ganzen Körper
Lebensdauer: ca. 3 Monate
Bildung: im Knochenmark








Wissenswertes

Die Blutgruppenzugehörigkeit und der Rhesusfaktor bleiben während des ganzen Lebens unverändert. Wie andere Körpermerkmale werden sie vererbt.
Argumentiere, weshalb es im Falle eines Unfalls vorteilhaft sein kann, wenn verletzte Personen Informationen über ihre Blutgruppe bei sich tragen!
Klumpen: unförmiges Stück; hier im Blut bilden sich Pfropfen

Verklumpung der Blutkörperchen mit Antigen-A und Anti-A-Antikörpern

Die Verklumpung ist mit freiem Auge sichtbar.

Blut besteht aus Blutplasma, roten Blutkörperchen, weißen

Blutkörperchen und den Blutplättchen. Die 4 Blutgruppen sind A, B, AB und 0. Außerdem wird das Blut in Rhesus-positiv oder -negativ eingeteilt.


An der Oberfläche von Zellen aber auch von Bakterien befinden sich unterschiedliche Eiweiße, die sogenannten Antigene. Gelangen z. B. bei einer Infektion körperfremde Zellen in den Körper, bilden sich Antikörper, die genau zu den Antigenen passen. Diese lagern sich an den fremden Zellen an und machen sie so unschädlich.
An menschlichen Blutzellen gibt es 2 mögliche Antigene: Antigen A und Antigen B. Manche Menschen besitzen nur A, manche nur B, manche beide und manche gar keine Antigene. Entsprechend lässt sich das Blut in 4 Blutgruppen unterteilen: A, B, AB und 0 (Null). Gegen Antigene, die nicht der eigenen Blutgruppe entsprechen, bilden sich Antikörper.
Blutgruppe A Blutgruppe B Blutgruppe AB Blutgruppe 0

rote
Blutkörperchen: Antigen A im Blutplasma: Antikörper gegen B

rote
Blutkörperchen: Antigen B im Blutplasma: Antikörper gegen A

rote

Blutkörperchen: Antigen A u. B im Blutplasma: keine Antiköper rote Blutkörperchen: keine Antigene im Blutplasma: Antikörper gegen A und B
Beim Blutspenden wird ein Teil des Blutes aus dem Körper eines Menschen entnommen. Bei einer Bluttransfusion wird dieses Blut auf einen anderen Menschen übertragen. Stimmen die Blutgruppen nicht überein, reagieren die Antikörper der einen Blutgruppe mit den Antigenen der anderen. Dadurch bilden sich Klumpen, die feine Blutgefäße verstopfen und so lebensgefährlich sein können. Blutgruppe 0 kann an alle Blutgruppen spenden.
Auf den roten Blutkörperchen befindet sich noch ein weiteres Eiweiß, der Rhesusfaktor (Rh). Ca. 85 % der Menschen besitzen dieses Eiweiß und haben deswegen Rhesus-positives Blut (Rh+). Fehlt es, spricht man von Rhesus-negativem Blut (Rh-). Bei der Vermischung von Rh+ und Rh- Blut kann es ebenfalls zu Blutverklumpungen kommen. Das kann zu Problemen in der Schwangerschaft führen, wenn eine Rh- Mutter, die z. B. nach einer vorangegangenen Schwangerschaft mit einem Rh+ Kind Rhesus-Antigene besitzt, ein weiteres Rh+ Kind bekommt. Durch moderne medizinische Methoden können jedoch solche Probleme weitgehend vermieden werden.
Eine Blutuntersuchung kann wichtige Hinweise auf eventuelle Erkrankungen des Körpers geben.
2 Blutbild: Dieses zeigt Anzahl, Größe und Hämoglobingehalt der Blutkörperchen. Außerdem kann der Gehalt an Traubenzucker und Blutfetten überprüft werden.
2 Blutsenkung: Diese gibt Auskunft über Entzündungen oder Infektionen. Die Absinkgeschwindigkeit der roten Blutkörperchen hängt vom Mischverhältnis der Eiweißstoffe im Blutplasma ab und ändert sich je nach Erkrankung.
Das Herz steht als Pumpe im Mittelpunkt des Blutkreislaufes. Es ist nicht unserem Willen unterworfen, sondern arbeitet automatisch als Druck- und als Saugpumpe. Ein gesundes Herz pumpt bei jedem Zusammenziehen ca. 70 Milliliter Blut in den Körper und schlägt in Ruhe 70- bis 80-mal in der Minute.
Das Herz liegt geschützt unter dem Brustbein zwischen den beiden Lungenflügeln. Es ist ein starker Hohlmuskel, der aus zwei Hälften besteht. Dazwischen befindet sich die Herzscheidewand. Jede Herzhälfte hat eine Vor- und eine Hauptkammer. Die linke Hauptkammer hat eine dickere Gefäßwand und ist etwas größer als die rechte, da sie das Blut in den Körper pumpt und der Körperkreislauf umfangreicher ist als der Lungenkreislauf. Die rechte Hauptkammer pumpt das Blut in die Lunge.
Herzklappen lassen das Blut im Herzen nur in eine Richtung fließen. Es gibt Segel- und Taschenklappen:
obere Hohlvene
rechte Vorkammer
Lungenvene
Segelklappe
Herzscheidewand
rechte Hauptkammer
Taschenklappe

2 Segelklappen: Diese lenken das Blut aus den Vorkammern in die Hauptkammern.
2 Taschenklappen: Diese verhindern den Rückfluss aus der Aorta und der Lungenarterie
Beim Herzschlag können 4 Phasen unterschieden werden:
Füllungsphase

Die blutgefüllten Vorkammern ziehen sich zusammen. Das Blut fließt durch die Segelklappen in die beiden Hauptkammern.
Anspannungsphase

Die Segelklappen schließen sich. Die Muskelfasern spannen sich an und der Druck in den Hauptkammern steigt.
Austreibungsphase

Entspannungsphase

Lungenvene
Das Herz zieht sich zusammen. Das Blut aus der rechten Kammer wird in die Lungenarterie und jenes aus der linken Kammer in die Aorta gepumpt.
Das Herz entspannt sich. Dadurch wird der Boden beider Vorkammern nach unten gezogen. So wird das Blut aus den Venen angesogen.
In der Herzpause, einer kurzen Pause von einem Bruchteil einer Sekunde zwischen Entspannungsphase und Füllungsphase, erholt sich die Kammermuskulatur.
untere Hohlvene
Innenansicht des Herzens: Angaben links u. rechts beziehen sich auf die Sichtweise eines Menschen, der sein eigenes Herz betrachtet.
Was ist ein EKG?



Mit einem EKG (Elektrokardiogramm) werden elektrische Spannungen und Ströme während der Herztätigkeit gemessen und aufgezeichnet. Es kann helfen, Herzerkrankungen zu erkennen.

zirkulieren: im Kreis bewegen

Schematischer Blutkreislauf des Menschen: blau = sauerstoffarmes Blut rot = sauerstoffreiches Blut


Der Blutkreislauf
Das Herz lässt das Blut im Körper zirkulieren. Daher sprechen wir vom Blutkreislauf. So können alle Zellen mit den nötigen Stoffen versorgt werden und Kohlenstoffdioxid sowie Abfallstoffe abtransportiert werden.
Das Blut fließt in Blutgefäßen. Alle Blutgefäße, die vom Herzen wegführen, nennt man Arterien, jene, die zum Herzen führen, Venen.
Du weißt bereits, dass das Blut in der Lunge mit Sauerstoff angereichert wird. Zuerst gelangt es aus der Lunge durch die Lungenvene in die linke Vorkammer des Herzens. Von dort kommt es in die linke Hauptkammer . Diese pumpt das sauerstoffreiche Blut über die Aorta und weiter durch die Arterien in alle Teile des Körpers.
Die Arterien verästeln sich immer mehr, sodass feinste Kapillargefäße alle Zellen des Körpers erreichen können. Im Körper erfolgt der Gasaustausch: Das Blut gibt Sauerstoff ab und nimmt Kohlenstoffdioxid auf.
Wie hoch ist der Blutdruck?
Der Blutdruck wird in mmHg (Millimeter Quecksilbersäule) angegeben.
1 mmHg entspricht einem Druck von 133 Pa.
Der durchschnittliche Blutdruck des Menschen liegt bei 130/75 mmHg.
Fühle zunächst deinen eigenen Puls und dann den deiner Sitznachbarin oder deines Sitznachbarn! Notiere den Wert! Wie wäre er während des Turnunterrichts?
Lunge
Lungenarterie
rechte Vorkammer
rechte Hauptkammer Venen
Blutkreislauf

Über Venen fließt das sauerstoffarme Blut in die rechte Vorkammer des Herzens zurück. Dort wird es in die rechte Hauptkammer und dann weiter durch die Lungenarterie in die Lunge gepumpt, wo es sich wieder mit Sauerstoff anreichert. Der Blutkreislauf ist geschlossen
Die Pfortader ist eine große Vene, in der das Blut aus dem Magen-Darm-Trakt gesammelt und zur Leber transportiert wird. Im Pfortaderkreislauf wird der Leber direkt nährstoffreiches Blut aus dem Darm zugeführt. Das Blut aus der Leber fließt in ein großes Gefäß, die untere Hohlvene.
Beim Blutdruckmessen werden immer 2 Werte angegeben:
2 Der höhere Wert ist der systolische Druck. Er entsteht, wenn sich das Herz zusammenzieht und Blut in die Blutgefäße presst.
2 Entspannt sich das Herz und füllt es sich mit Blut, ist der Druck in den Gefäßen geringer. Diesen Druck nennt man diastolischer Blutdruck.

Blutdruckmessung
Blutgefäße
Venenklappe
Wenn die Arterien das Blut vom Herzen wegführen, verzweigen sie sich, je weiter sie in den Körper dringen. Sie gehen in die Kapillaren über, die einen Durchmesser von nur etwa 0,01 mm haben. Das Blut fließt dort nur mehr sehr langsam, damit der Gas- und Nährstoffaustausch erfolgen kann. Die Kapillaren vereinigen sich dann wieder zu größeren Blutgefäßen, die als Venen zum Herzen zurückführen.

Was sind die Herzkranzgefäße?
Blutstrom

Längsschnitt einer Vene. Die Venenklappen verhindern ein Zurückfließen des Blutes und stellen sicher, dass das Blut nur in eine Richtung fließen kann.
Muskelpumpe:
Körpermuskel erzeugen beim Anspannen Druck in den Venen.

Erkrankungen des Herz-Kreislaufsystems
Der vom Herzen aufgebaute Druck reicht nicht aus, um das Blut zu allen Stellen des Körpers und wieder zurück zu pumpen. Der Blutkreislauf wird unterstützt durch …

Arterienpumpe:
Druck in den Arterien überträgt sich auf daneben liegende Venen.





BLUTHOCHDRUCK: Laut WHO leidet man ab einem Wert von 140/90 mmHg an Bluthochdruck. Ursachen können psychische Belastungen und/oder organische Probleme wie Nierenerkrankungen sein. Die Neigung zu Bluthochdruck kann aber auch vererbt werden.

Herzkranzgefäße sind jene Blutgefäße, die den Herzmuskel mit Blut, Sauerstoff und Nährstoffen versorgen. Sie verlaufen kranzförmig rund um das Herz.
innere Gefäßwand
äußere Gefäßwand
KRAMPFADERN: Durch eine Schwäche der Venenwände dehnen sich die Beinvenen, bis die Venenklappen nicht mehr richtig schließen. Nach langem Sitzen oder Stehen wird das Blut daher nicht mehr zum Herzen gepumpt, sondern sammelt sich in den gedehnten Venen, die an der Oberfläche der Beine sichtbar sind. Folgen können Venenentzündungen oder Venenthrombosen sein.
HERZRHYTHMUSSTÖRUNGEN: Der Schlagrhythmus des Herzens verläuft unregelmäßig. Im Extremfall kann ein Herzschrittmacher den Rhythmus unterstützen, indem er mit elektrischen Impulsen den Herzmuskel regelmäßig anregt.
Muskelschicht mit

Aufbau eines Gefäßes
WHO: Weltgesundheitsorganisation (World Health Organisation)


Ist niedriger Blutdruck gefährlich?
Nein, denn er ist keine wirkliche Krankheit. Menschen mit niedrigem Blutdruck haben sogar eine höhere Lebenserwartung. Sie leiden allerdings unter Kälte- oder Schwindelgefühl, Schlafstörungen, Müdigkeit, Konzentrationsschwäche oder Sehstörungen. Regelmäßiger Sport kann Abhilfe schaffen.
Bei welchen Berufen ist die Gefahr, dass sich Krampfadern bilden, besonders groß? Nenne einige!
Schlaganfall: Störung der Durchblutung von Teilen des Gehirns; kann zu dauerhaften Schäden führen
Blutgerinnsel: kleine Menge geronnenen Bluts


Sport ist gesund Sportler/innen haben nicht nur gut trainierte Muskeln. Auch ihr Herzmuskel ist gut trainiert. So pumpt ihr Herz mit jedem Pulsschlag anstatt durchschnittlich 70 ml etwa 100 ml in den Körper. Daher schlägt es in Ruhe nicht 70- bis 80-mal pro Minute, sondern nur 45- bis 50-mal. Deshalb dauert die Entspannungsphase und Erholungsphase für das Herz von Sportler/innen länger.

THROMBOSE: Das ist ein durch die Blutplättchen verursachtes Blutgerinnsel, welches ein Blutgefäß verstopft. Thrombosegefahr besteht nach Operationen oder längerer Bettruhe und besonders bei Langstreckenflügen, wenn man die Beine nicht bewegt. Gefährdete Personen haben die Möglichkeit, Stützstrümpfe zu tragen oder gerinnungshemmende Medikamente einzunehmen.
ARTERIOSKLEROSE/Arterienverkalkung: Dies ist eine krankhafte Veränderung und Verengung der Arterien, wobei diese ihre Elastizität verlieren. Stress, fettreiche Ernährung, Diabetes, dauerhafte Entzündungen und Bluthochdruck begünstigen Schäden an den Gefäßwänden. Die geschädigten Stellen können verhärten und sich verengen, was die Bildung von Thrombosen fördert. Tritt die Arteriosklerose im Gehirn auf, kann ein Schlaganfall die Folge sein. Gründe für diese Erkrankung sind psychische Belastungen, fettreiche Ernährung, Zuckerkrankheit, Entzündungen oder auch Bluthochdruck.
MERKE: Sport ist gut für das Herz!



„SCHAUFENSTERKRANKHEIT“: Verengungen in den Beinarterien verursachen bei Betroffenen nach wenigen Schritten Schmerzen. Wie bei einem Schaufensterbummel bleiben sie alle paar Schritte stehen, bis der Schmerz nachgelassen hat.
INFARKT: Wenn Gewebe aufgrund von Durchblutungsstörungen nicht ausreichend mit Sauerstoff versorgt wird, spricht man von einem Infarkt. Teile des Gewebes sterben ab. Herzinfarkt und Hirninfarkt (Schlaganfall) sind die bekanntesten und häufigsten Infarkte. Wie soll man reagieren?

Die Notrufnummern rufen: 144 oder 112
Betroffene beruhigen und nicht alleine lassen! Bequem lagern und die Kleidung lockern!


Puls, Atmung und Bewusstsein des Betroffenen wiederholt überprüfen!
Herz-Kreislauferkrankungen zählen zu den häufigsten Todesursachen! Du kannst viel für dein Herz und dein Kreislaufsystem tun:
Achte auf dein Körpergewicht! Zu viel Gewicht belastet dein Herz-Kreislaufsystem!


Das Herz besteht aus zwei Vor- und zwei Hauptkammern. Es pumpt Blut in den Körper- und in den Lungenkreislauf. Man unterscheidet 3 verschiedene Typen von Blutgefäßen, die sauerstoffreiches oder -armes Blut transportieren: Arterien, Venen und Kapillaren. Es gibt viele Möglichkeiten, positiv auf sein Herz-Kreislaufsystem einzuwirken.



Lass bei der Ärztin oder beim Arzt regelmäßig Blutdruck- und Pulsmessung durchführen! So kann Erkrankungen vorgebeugt werden.


Meide Genussmittel wie Alkohol, Zigaretten, Kaffee oder Süßigkeiten, auch sie wirken sich auf den Blutdruck aus!

Ernähre dich gesund, fett- und salzarm, denn die Ernährung wirkt sich auf den Blutdruck aus!


Betreibe in einem ausgewogenen Maße regelmäßig Sport! Er soll Spaß machen. Das stärkt das Herz und bewirkt gut durchblutetes Gewebe.

1) Blutgeschichten – Diese zwei Berichte sind vermischt. Ordne jedem Satz die passende Überschrift zu, indem du den richtigen Buchstaben einsetzt! %%%
A. Wissenswertes über die Blutgerinnung!
B. Blutspenden können Leben retten!
Ihre Inhaltsstoffe bewirken die Umwandlung vom wasserlöslichen Fibrinogen zum wasserunlöslichen, faser-förmigen Fibrin.
Universalspender/innen sind Personen mit der Blutgruppe 0- und Universalempfänger/innen jene mit der Blutgruppe AB+.
Die Blutgerinnung erfolgt in 3 Schritten:
Die Blutgerinnung setzt ein und verschließt die Wunde.
Das freiwillig gespendete Blut, pro Person etwa ½ Liter, wird aufbereitet und für medizinische, wissenschaftliche oder pharmazeutische Zwecke verwendet.
Blutplättchen lagern sich am Wundrand ab.
Das verletzte Blutgefäß zieht sich zusammen und der Blutaustritt wird verringert.
Es bildet ein Netz, in dem die Blutplättchen hängen bleiben.
Würde das Blut nicht gerinnen, würden wir bei der kleinsten Verletzung verbluten.
2) Übertrage nun die beiden Texte mit der richtigen Überschrift in dein Heft! %
3) In welche Richtung fließt das Blut? Beginne bei der linken Hauptkammer und zeichne von dort ausgehend die Fließrichtung des Blutes mit Pfeilen neben dieser Abbildung ein! Dann beschrifte die Kästchen! Zum Schluss erstelle eine Legende für die rote und die blaue Farbe in der Abbildung! %%%%








4) Was man über den Herzinfarkt wissen sollte! – Versuche, den in diesen 3 Herzen gesplitteten Text zu lesen! %
Im Falle eines Herzi
Je schneller man en für Betroffene, den hl es um Minuten g fort einen Notarzt o chen für einen Herz in der Brust, Unruhe weißausbrüche, Üb che Fälle gerüstet z absolvieren. Er sprechende



nfarktes muss schn handelt, desto bess Herzinfarkt gut z eht, sollte man beso der eine Notärztin ru infarkt sind Druck od gefühl bis Todesang elkeit oder auch Ate u sein, ist es ratsam, ste Hilfeorganisat Kurse an.


ell gehandelt werden. er stehen die Chanc u überstehen. Obwo nnen bleiben und so fen. Typische Anzei er heftiger Schmerz st, Blässe, kalte Sch mnot. Um gut für sol Erste-Hilfe-Kurse zu ionen bieten ent

5) Überlege dir nun selbst 4 Fragen zu diesem Text und stelle sie deiner Sitznachbarin/deinem Sitznachbarn! %% Wer von euch beiden kann alle beantworten?
6) Was weißt du über Blutgefäße und deren mögliche Erkrankungen? Löse das Rätsel, indem du die gesuchten Begriffe richtig einsetzt! %%% ACHTUNG: „ß“ = „SS“
waagrecht
4. Blutdruck über 140/90 mmHg



6. Blutgefäße, die das Blut vom Herzen weg führen
7. erweiterte Venen, die an der
Oberfläche der Beine sichtbar sind
9. Der Pulsschlag in Arterien wirkt in benachbarten Venen als …

10. Blutgefäße haben eine innere und eine äußere …

senkrecht
1. In ihnen fließt das Blut sehr langsam, damit der Gas- und Nährstoffaustausch erfolgen kann.
2. Muskeln helfen mit, das Blut in den Venen zum Herzen zurück zu pumpen.
3. Erkrankung, wenn ein Blutgerinnsel ein Blutgefäß verstopft
5. verhindern den Rückfluss des Blutes in den Venen
8. Blutgefäße, die das Blut zum Herzen führen

Unter Immunsystem versteht man das Abwehrsystem, das gegen in den Körper eingedrungene Mikroorganismen oder fremde Substanzen gerichtet ist. Auch körpereigene fehlerhafte (fehlgeleitet auch intakte) Zellen kann es zerstören. Es wird zwischen der angeborenen (unspezifischen) und der erworbenen (spezifischen) Immunabwehr unterschieden. Beispiele für die unspezifische Immunabwehr sind:
Säureschutzmantel der Haut

Die Haut sondert Schweiß und Fettsäuren ab. Diese wirken wie eine schwache Säure und töten Bakterien ab, bevor sie in den Körper eindringen können.
Schleimhäute

Diese sorgen z. B. im Mund dafür, dass Krankheitserreger hängen bleiben, um dann abtransportiert zu werden.
Tränenflüssigkeit

Diese enthält Substanzen, die Bakterien abtöten.
immun: unempfindlich gegen ansteckende Krankheiten


Die Aktivierung der unspezifischen Immunabwehr kann man am Anschwellen der Lymphknoten erkennen. Im Falle einer Infektion produzieren die Lymphknoten vermehrt Lymphozyten, die zur Kategorie der weißen Blutkörperchen gehören.
Körpervene (nur der Teil der Einmündung abgebildet) Lymphknoten
Dringen trotzdem Krankheitserreger in deinen Körper ein, beginnt das körpereigene Abwehrsystem, dein Immunsystem, zu arbeiten. Im Wesentlichen sind es die weißen Blutkörperchen, die gegen Krankheitserreger aktiv werden. Sie werden im Blut, aber auch in der Lymphflüssigkeit zu den erkrankten Stellen im Körper transportiert.
Das Lymphsystem
Durch die dünnen Wände der Blutkapillaren gelangt Sauerstoff und Blutplasma mit darin gelösten Nährstoffen ins Gewebe. Über diese sogenannte Gewebsflüssigkeit werden die Zellen der Organe versorgt. Die Zellen geben Abfallprodukte des Stoffwechsels und Kohlenstoffdioxid an die Gewebsflüssigkeit ab. Ein Teil der Gewebsflüssigkeit und das Kohlendioxid tritt wieder in die Blutkapillaren ein. Der Großteil der Abfallprodukte ist zu groß, um wieder ins Blut zu gelangen, kann aber mit Gewebsflüssigkeit in die Lymphkapillaren eintreten.
Diese wässrige, hellgelbe Flüssigkeit wird dann Lymphe genannt. Auch Krankheitserreger und Fremdkörper werden so aus dem Gewebe abgeführt. Das Lymphsystem dient also dem Abtransport von im Gewebe unerwünschten Stoffen. Die Lymphkapillaren münden in die Lymphgefäße, die sich weiter in immer größere Gefäße, wie dem Brustlymphgang, vereinigen. Sie münden schließlich hinter dem Schlüsselbein in die Körpervene.
An bestimmten Stellen der Lymphbahn befinden sich Lymphknoten
Diese filtern die Lymphe und reagieren mit der Produktion spezieller Leukozyten als wichtiger Teil der Immunantwort auf Krankheitserreger in der Lymphe.

Lymphkapillare
Brustlymphgang
Lymphgefäße Lymphsystem
Vene

Gewebszwischenraum
Lymphkapillarensystem

Entzündung der Lymphgefäße
zuführendes Lymphgefäß Kapsel

Lymphknoten
Fresszellen: weiße
wegführendes Lymphgefäß
Blutkörperchen, die Erreger sofort vertilgen können
Erkrankungen des Lymphsystems
Wie alle anderen Gewebe kann es auch bei Teilen des Lymphsystems zu Entzündungen kommen. Ein an der Hautoberfläche sichtbarer roter Strich, der häufig von einer verletzten Stelle ausgeht, deutet auf ein entzündetes Lymphgefäß hin. Früher glaubte man, ein roter Strich auf der Hautoberfläche wäre ein Zeichen für eine Blutvergiftung.
Erkrankungen des Lymphsystems führen meist dazu, dass die Lymphe nicht mehr abfließen kann und sich staut. Daher kann man solche Erkrankungen an einem Anschwellen der Extremitäten oder auch am Bauch erkennen.
Organe des Immunsystems
Mehrere Organe unseres Körpers bilden gemeinsam mit dem Lymphsystem unser Immunsystem. Immunzellen werden in den primären Immunorganen gebildet und halten sich bevorzugt in den sekundären Immunorganen auf.
Gaumenmandeln (sekundär)

Sie sind Teil des Lymphsystems. Bei starkem Kontakt mit Krankheitserregern bilden sich dort viele weiße Blutkörperchen, wodurch die Mandeln anschwellen können.


Lymphknoten (sekundär)


Primäre lymphatische Organe bilden und programmieren neue Leucozyten. Sekundäre filtern Schadstoffe und vermehren vorhandene Leucozyten.

Fresszelle

Wenn du das nächste Mal krank bist, versuche, deine geschwollenen Lymphdrüsen zu ertasten!
Organe des Immunsystems
Sie arbeiten wie eine Filterstation für die Lymphe, denn sie bauen Krankheitserreger, Zellbruchstücke und erkrankte Zellen ab. Im Falle einer Infektion produzieren sie besonders viele weiße Blutkörperchen und schwellen an.

Thymusdrüse (primär)
Sie spielt vor allem beim Aufbau des Immunsystems eine wichtige Rolle. In ihr werden die weißen Blutkörperchen so programmiert, dass sie körpereigene Zellen nicht angreifen. Nach der Pubertät hat sie keine Bedeutung mehr, weil andere Organe die weißen Blutkörperchen produzieren.

Milz (sekundär)
Sie wirkt wie ein großer Lymphknoten und ist das größte Organ des Lymphsystems. In ihr werden weiße Blutkörperchen gebildet. Sie speichert Blutplättchen sowie Fresszellen und baut alte Blutkörperchen ab. In ihr lagern sich außerdem Stoffwechselprodukte ab, die nicht ausgeschieden werden können. Ein Leben ohne Milz ist grundsätzlich möglich, weil andere Organe ihre Funktion übernehmen. Menschen ohne Milz haben allerdings ein geschwächtes Immunsystem.




Darm und Wurmfortsatz (sekundär)
Die Darmschleimhaut ist ständig Krankheitserregern wie Bakterien, Pilzen oder Viren ausgesetzt. Daher befinden sich etwa 80 % aller Abwehrzellen im Darm.



rotes Knochenmark (primär)
Im Knochenmark werden ständig weiße Blutkörperchen gebildet.


Funktionsweise des Immunsystems
Wir sind ständig Krankheitserregern ausgesetzt, die auf verschiedenen Wegen in unseren Körper eindringen können. Die meisten Krankheitserreger werden jedoch durch Schutzmechanismen wie den Säureschutzmantel der Haut oder die Schleimhäute abgehalten.
Haben sie diese Hindernisse überwunden, beginnt im Inneren des Körpers eine eigene Immunabwehr zu wirken.
Unspezifische Immunabwehr Fresszellen haben bei der Immunabwehr eine besondere Bedeutung.

Sie unterscheiden zwischen eigenen und fremden Zellen.

Unspezifische Abwehr Ohr Auge Nase
Sie erkennen Viren oder Bakterien als Fremdkörper und vernichten sie.



In den Schleimhäuten befinden sich immer Fresszellen, um Eindringlinge zu vernichten. Wenn du dich verletzt, wird eine Kettenreaktion in Gang gesetzt.
Stell dir vor, du schneidest dich in den Finger!
1. Schritt: Die Zellen des verletzten Gewebes – in diesem Fall der Haut – werden von Bakterien befallen. Die befallenen Hautzellen setzen
Signalstoffe frei, um Fresszellen im Blut zu aktivieren. Blutplättchen lagern sich am Rand der Wunde ab. Der dabei abgegebene Stoff bewirkt, dass sich die blutenden Gefäße zusammenziehen und die Blutung gestoppt wird.
2. Schritt: Blutkapillaren unter der Haut reagieren auf die freigesetzten Signalstoffe und werden durchlässiger. Fresszellen können dann nicht nur die eingedrungenen Bakterien verdauen, sondern auch eingedrungene kleine Fremdkörper. Der dabei entstehende Eiter setzt sich aus toten Zellen, Lymphflüssigkeit und eingedrungenen Bakterien zusammen.
3. Schritt: Im weiteren Verlauf bildet sich eine Kruste aus Zellen. Dies können Fresszellen oder Bindegewebszellen sein. Während die Wunde nach außen verkrustet, polstern andere Zellen das Innere der Wunde mit einem vorübergehenden Gewebe auf.
Infektionswege


Findet gemeinsam Infektionskrankheiten, die über die verschiedenen Wege in unseren Körper gelangen können! Beschreibt die Wege und Möglichkeiten, eine Infektion zu erschweren oder zu verhindern!
Kettenreaktion:
Aufeinanderfolge von Vorgängen, von denen jeder den nächsten auslöst
Bei der Wundheilung entstehen zwei verschiedene Arten von Krusten! Finde heraus, woraus und wie sie entstehen und fasse die Unterschiede in Worte!
Bereits nach einigen Tagen werden Bindegewebe und Blutgefäße sichtbar und eine oberste Hautschicht bildet sich, die die Wunde nach außen hin abdichtet.

Wenn du dir das nächste Mal eine Schürf- oder Schnittwunde zuziehst, versuche die Wundheilung bewusst zu beobachten und schreibe ein Protokoll, das die erlernten Inhalte und Begriffe verwendet!
Wie sollten offene Wunden versorgt werden?
Ladet die Schulärztin/den Schularzt in eure Klasse ein und lasst euch informieren!
Tröpfcheninfektion
Spezifische Immunabwehr
Es ist jedoch auch möglich, dass Krankheitserreger der unspezifischen Abwehr entgehen. Dies tritt zumeist bei diesen 3 Infektionsarten auf:
Übertragungsart
Krankheitserreger werden über die Luft verbreitet und meist über die Schleimhäute des Nasen- und Mundbereichs aufgenommen.
Beispiel
beim Sprechen, Niesen oder Husten
Schmier- und Kontaktinfektion
Körperflüssigkeiten
befallen info info info werden zu bilden
bilden töten
Die Übertragung erfolgt durch Berührung eines infizierten Objektes oder Lebewesens.
Beim Austausch von Körperflüssigkeiten können Krankheiten übertragen werden.

Reaktion des Immunsystems auf einen Krankheitserreger


Magen-Darm-Infektionen aufgrund mangelnder Hygiene auf Toiletten
beim Küssen oder beim Geschlechtsverkehr
Diese Krankheitserreger werden dann vom spezifischen Abwehrsystem unseres Körpers bekämpft. Es ist in der Lage, Eindringlinge gezielt zu erkennen.



Schaffen Fresszellen es nicht, Krankheitserreger unschädlich zu machen, regen sie mit Signalstoffen einen weiteren Typ der weißen Blutkörperchen an, die T-Zellen . T-Zellen entstehen in der Thymusdrüse. Sie reagieren nun auf zweifache Weise:
1. SCHRITT: Sie aktivieren die B-Zellen . Diese entwickeln sich zu


Plasmazellen , die Antikörper bilden können. Antikörper können Krankheitserreger unschädlich machen.


2. SCHRITT: Sie informieren auch die Killerzellen . Diese Zellen können bereits vom Erreger befallene Zellen aufspüren und abtöten.



Die Haut, Schleimhäute und auch die Tränenflüssigkeit schützen den Körper vor Eindringlingen. Das Lymphsystem macht gemeinsam mit mehreren Organen die Immunabwehr aus. Bei der unspezifischen Abwehr werden Fresszellen aktiv, bei der spezifischen werden T-Zellen aktiviert, die den Angreifer erkennen und Antikörper bilden.


Während dieser beiden Prozesse speichern bestimmte Zellen die Information der Eigenschaften der Krankheitserreger. Diese Gedächtniszellen können im Falle einer späteren Infektion sofort aktiv werden und die Krankheit abwehren. Der Körper hat also Antikörper gebildet, die genau wie ein Schlüssel zum Schloss auf einen bestimmten Krankheitserreger passen. In diesem Fall ist man gegen diesen Krankheitserreger immun


Man kann sich dieses Prinzip bildhaft vorstellen: Antikörper sind vergleichbar mit einem Schlüssel und passen zu dem Erreger, dem Schloss. Der Erreger wird so für den Körper ungefährlich.


1) Wie du dich vor Infektionen schützen kannst, erfährst du hier. Lies diese Informationstexte zuerst genau durch!
Aktive Immunisierung („Schutzimpfung“):
Der Körper wird vorbeugend mit Krankheitserregern geimpft. Eine Infektion wird nachgeahmt. Das Immunsystem reagiert aktiv aufgrund der Infektion mit körpereigenen Abwehrstoffen (Antikörpern) und bildet Gedächtniszellen, die bei erneutem Kontakt mit dem Erreger Antikörper nachbilden können.
• muss in bestimmten Zeitabständen wiederholt werden
• völlige Immunisierung tritt erst nach allen Teilimpfungen bzw. Auffrischungsimpfungen ein
• Beispiele: FSME, Masern, Mumps, Röteln

Impfpass:

Alle Impfungen sollte man immer in diesen eintragen lassen. Bei Verlust des Impfpasses kann eine Titerbestimmung durchgeführt werden. Sie zeigt, ob die Konzentration bestimmter Antikörper im Blut ausreichend hoch ist. Ist der TiterWert zu niedrig, sollte eine erneute Impfung erfolgen.

Passive Immunisierung:
Dem Körper wird ein Konzentrat dieser Antikörper geimpft. Dieses wurde von Menschen oder Tieren gewonnen, welche mit bestimmten Erregern infiziert wurden und bereits Antikörper gebildet hatten. Es kann sich um Antikörper gegen Bakterien, Viren oder tierische Gifte handeln. Das Immunsystem bleibt unbeteiligt, also passiv.
• bewirkt einen sofortigen Schutz
• hält maximal 3 Monate an, da Antikörper abgebaut werden
• wird angewendet, wenn der Körper bereits infiziert wurde oder Infektionsgefahr droht (z. B. Reisen in exotische Länder)
• Beispiele: Tollwut, Malaria, Schlangenbiss


Impfplan:
Er gibt in tabellarischer Form an, welche Impfungen zu welchem Zeitpunkt durchgeführt werden sollen. Du kannst dir diesen z. B. im Internet unter https://www.sozialministerium.at/ Themen/Gesundheit/Impfen/ Impfplan-Österreich.html ansehen. Er ist auch bei Ärztinnen/Ärzten erhältlich.
2) Nun entscheide selbst, ob es sich bei diesen Abbildungen um eine aktive oder passive Immunisierung handelt! %%


aktive Immunisierung
passive Immunisierung
aktive Immunisierung
passive Immunisierung

3) Für Expertinnen/Experten – Hier geht es um wichtige Begriffe des Lymphsystems. Verbinde den Begriff mit der Definition, indem du mit dem Lineal Linien ziehst! Da eine Definition fehlt, ergänze diese! %%%
Lymphgefäße

Lymphkapillaren

Lymphe

Brustlymphgang

Körpervene


Flüssigkeit mit gelösten Stoffwechsel-Restprodukten
feine Haargefäße des Lymphsystems
Transportsystem der Lymphflüssigkeit

Gefäß, in das die großen Lymphbahnen münden

4) Lies zuerst diesen Wellentext! Welche Überschrift passt dazu? Welche Aufgaben des Lymphsystems kannst du herausfinden! %%
DieBestandteilemancherNährstoffewieFettesindzugroßumdurchdieKapillar wändegelangenzukönnenDiesewerdendeshalbdurchdasLymphsystemausd emDarmzudenKörperzellentransportiertZellzwischenräumewerdenvonüber schüssigerFlüssigkeitbefreitKrankheitserregerwerdenabtransportiert
1. AUFGABE:
3. AUFGABE:
2. AUFGABE: ____________________________
5) Wie stärkst du dein Immunsystem? – Eine Möglichkeit findest du hier schon angeführt. Die anderen drei darfst du selbst formulieren und in dein Heft schreiben. Tipp: Kater Eragon denkt gerade daran! %%%




Versuche positiv zu denken und zu handeln! Seelische Probleme, Angst oder Stress wirken sich negativ auf das Immunsystem aus. Achte darauf, dass du Zeit findest, in der du Energie tanken kannst und etwas machst, was dir Freude bereitet!












Gesundheit ist eines der kostbarsten Güter. Dies merkt man erst, wenn man sie nicht mehr hat.
Der Mensch ist ständig Krankheitserregern wie Bakterien oder Viren, aber auch Pilzen oder tierischen Einzellern ausgesetzt. Diese Krankheitserreger können Krankheiten auslösen. Dies geschieht, wenn die Widerstandskraft des Körpers z. B. durch Stress oder Erschöpfung herabgesetzt ist. Vom Kontakt mit den Erregern bis zum Auftreten der ersten Krankheitssymptome dauert es meist einige Zeit. Diese Zeit nennt man Inkubationszeit.
Bakterien als Krankheitserreger

Du hast bereits in der 2. Klasse einiges über Bakterien erfahren. Manche Bakterien sind für den Menschen lebensnotwendig. Denke dabei an Bakterien im Darm, die unverdauliche Nahrungsbestandteile zerlegen.
Nur wenige Bakterien lösen Infektionskrankheiten aus. Sehr häufig werden diese durch Tröpfcheninfektion übertragen. Die Krankheitssymptome können sehr unterschiedlich sein.
Kugelförmige Bakterien (Kokken)
MANDELENTZÜNDUNG: Nach einer Tröpfcheninfektion setzen sich Bakterien wie etwa Streptokokken an den Gaumenmandeln fest. Werden sie dort nicht rechtzeitig abgetötet, vermehren sie sich rasch. Sie geben Gifte, sogenannte Toxine, aus ihrem Stoffwechsel ab. Dadurch kommt es zur Entzündung. Toxine werden mit dem Blut und der Lymphe im Körper verteilt, welcher auf diese Giftstoffe mit Fieber reagiert.
Es gibt aber noch andere durch Bakterien hervorgerufene Erkrankungen wie Tuberkulose, Cholera, Tetanus (Wundstarrkrampf) oder Syphilis. Bei diesen reagiert der Körper häufig mit Fieber, Durchfall oder Erbrechen.
Die Erreger von bakteriellen Erkrankungen können aber auch über die Nahrung in unseren Körper gelangen.

SALMONELLENINFEKTION: Diese wird häufig durch den Verzehr von rohen Eiern oder nicht gar gekochtem Geflügel hervorgerufen. Bei älteren Menschen oder kleinen Kindern kann eine Salmonellenvergiftung auch tödlich verlaufen.
Salmonellen werden abgetötet, wenn Lebensmittel bei der Zubereitung ausreichend gegart werden. Nach dem Kontakt mit rohen Eiern oder rohem Fleisch ist es wichtig, sich gründlich die Hände zu waschen , da sonst die Salmonellen auf andere Speisen übertragen werden können. Außerdem ist auf eine saubere Küche sowie saubere Küchengeräte zu achten!
Diskutiert in der Klasse diesen Satz! Welche Erfahrungen habt ihr damit bereits gemacht?

Wie wirken Antibiotika? Sind Bakterien in den Körper eingedrungen, können sie mit Antibiotika bekämpft werden. Diese hemmen das Wachstum von Bakterien. Ein bekanntes Antibiotikum ist das Penicillin. Antibiotika haben als Nebenwirkung, dass sie auch die für die Verdauung wichtigen Bakterien im Darm töten. Da es immer mehr Bakterien gibt, die gegen Antibiotika resistent sind, soll der Einsatz von Antibiotika immer von einer Ärztin/einem Arzt entschieden werden.
ACHTUNG: Antibiotika müssen genau nach Anweisung eingenommen werden und dürfen nicht früher abgesetzt werden.

resistent: widerstandsfähig
Versucht in Kleingruppen mehr über diese oder andere bakterielle Infektionskrankheiten herauszufinden! Erstellt eine Plakat oder eine kurze digitale Präsentation dazu!

Bakteriell hervorgerufene Mandelentzündung
gar gekocht: so lange gekocht, bis das Fleisch nicht mehr roh ist
Erinnere dich an die Kennzeichen des Lebens! Welche sind das?
AIDS-Virus
Polio-Virus
Warzen-Virus
Grippe-Virus
Virus, das Bakterien befällt – Bakteriophage
Größenvergleich:
Viren – Wirtszelle


Wirtszelle


D
Virus dringt in eine Zelle ein.
Viren sind keine echten Lebewesen. Vielmehr sind sie stark rückgebildete Parasiten. Sie können nicht wachsen, sich nicht bewegen, sich auch nicht selbst vermehren und haben keinen eigenen Stoffwechsel. Viren nutzten lebende Zellen als Wirtszellen. Sie schleusen ihre Erbsubstanz, die von einer Eiweißhülle umgeben ist, in die Wirtszelle ein und bringen diese dazu, neue Viren zu produzieren.
D

Grippevirus 70 000-fach vergrößert
Suche im Internet oder in Büchern nach weiteren viral verursachten Erkrankungen! Wie erfolgt die Infektion? Wie ist der Krankheitsverlauf? Wie kannst du dich vor einer Infektion schützen?


Der Kampf gegen
Viren
Viren sind nur sehr schwer zu bekämpfen, da dabei auch die Wirtszelle zerstört werden kann. Dies kann zu einer Schädigung der Patientin/des Patienten führen. Da Viren keine Lebewesen sind, helfen auch Antibiotika nicht. Viren verändern sehr rasch ihre Oberflächenstruktur, weshalb Impfstoffe immer wieder dieser veränderten Struktur angepasst werden müssen. Medikamente lindern zumeist nur die Symptome der Erkrankung, bekämpfen aber nicht die Ursache – das Virus – selbst.
Aus der Eiweißhülle tritt die Erbsubstanz des Virus aus und gelangt in den Zellkern der Wirtszelle. Diese stellt sich nun völlig auf das Virus ein, das den Stoffwechsel der Wirtszelle übernimmt.
D
Die Wirtszelle produziert nun Eiweißstoffe für die Hülle des Virus.
Innerhalb der Zelle befindet sich das Virus zunächst in einer Vakuole.


Die Hülle der Wirtszelle wird dabei zerstört und bricht auf. Die neuen Viren verlassen die Zelle. Diese befallen nun weitere Zellen oder verlassen den Körper. Sie können dann bei anderen Menschen zu einer Infektion führen.Olympe


D
D
Die Wirtszelle vervielfältigt die Erbsubstanz des Virus und fügt die einzelnen Bestandteile zu einem vollständigen Virus zusammen.
Auf diese Weise entstehen in der Wirtszelle viele identische Viren. Virus
Die Eiweißhülle öffnet sich und das Virus tritt aus.
D


D
D

Zu den viral bedingten Erkrankungen zählen z. B. Grippe, Masern, Mumps, Röteln, Fieberblase und Gürtelrose. Auch AIDS ist eine virale Erkrankung.
Grippeviren gehören zwar zu den harmlosen Erregern, trotzdem sterben weltweit ca. 6 % der infizierten Personen. Vor allem ältere Menschen sowie Babys und Kleinkinder, deren Immunsystem nicht mehr oder noch nicht stark genug ist, können zu den Todesopfern zählen.
AIDS ist eine erworbene Immunschwächekrankheit und wird durch das HI-Virus hervorgerufen. AIDS steht für Acquired immune deficiency syndrome. Das Virus wird durch Körperflüssigkeiten wie Blut oder Samenflüssigkeit, die in den Körper gelangen, übertragen. Es befällt dann spezielle Zellen des Immunsystems oder des Nervengewebes. Dabei schleust es seine Erbsubstanz in die Zelle ein, während die Eiweißhülle außerhalb der Zelle verbleibt. Die Reaktion auf eine Erstansteckung verläuft vorerst relativ harmlos. Die ersten Symptome, die etwa 4 bis 6 Wochen nach der Infektion auftreten, sind ähnlich wie bei einer Grippe. Infizierte klagen über Übelkeit oder erhöhte Körpertemperatur. Von nun an kann ein infizierter Mensch andere Personen anstecken. Ist jemand mit dem HI-Virus infiziert, spricht man von „HIV-positiv “. Die HI-Viren sind in Körperflüssigkeiten wie Sperma, Blut oder auch Scheidenflüssigkeit nachweisbar. Die Konzentration ist so hoch, dass ein hohes Ansteckungsrisiko gegeben ist.
Das Virus kann bis zu 15 Jahre ruhen, bevor die Krankheit AIDS ausbricht. Bei AIDS ist das Immunsystem so sehr geschwächt, dass es Krankheitserreger nicht mehr bekämpfen kann. Es kann zu Lungenentzündung, Durchfall, Gewichtsverlust, Herpesinfektionen, Pilzbefall, Krebserkrankungen und zu Erkrankungen des Nervensystems kommen. Bei sehr geschwächten AIDS-Patientinnen und AIDSPatienten führen diese Erkrankungen zum Tod.

Wobei kann man sich
NICHT infizieren?
2 beim Händeschütteln oder Umarmen
2 Küsse auf die Wange
2 gemeinsames Benutzen von Essbesteck, Schreibzeug oder Kleidung, WC, Bad
2 Arztbesuche
2 Mückenstiche

„Red Ribbon“ (Rotes Band) als Symbol für die Solidarität mit HIV-Infizierten und AIDS-Kranken
HI-Viren: Humanes Immundefizienz-Virus, Immunschwäche-Virus
Solidarität: Verbundenheit bzw. Zusammenhalt zwischen Gleichgesinnten oder Gleichgestellten
HIV-positiv: Menschen, die HIVViren in ihren Körperflüssigkeiten und ihrem Blut haben




Wie kann man sich mit HI-Viren infizieren?
2 Sexualkontakt ohne Kondom
2 Verwenden gebrauchtenvon Injektionsnadeln
2 Kontakt mit Blut
2 verseuchte Blutkonserven Bluttransfusionenbei
Warum ist AIDS so gefährlich?


Viren sind im Allgemeinen an ihren Wirt angepasst vorkommen, beim Menschen meist keine Erkrankung hervorrufen. Erbmaterial der Viren, können diese jedoch auch für den Menschen gefährlich werden. Ende 2019 dürfte so eine Veränderung in geschehen sein. Man vermutet, dass ein Virus von Fledermäusen auf Schuppentiere oder Marderhunde übergesprungen war. Die Schuppen des Schuppentiers werden in der traditionellen chinesischen Medizin verwendet und sein Fleisch gilt als Delikatesse. Marderhundfelle werden zu Kleidung verarbeitet. Das Virus hat sich in seinem neuen Wirt erneut verändert und ist vermutlich auf einem Tiermarkt in der chinesischen Stadt Wuhan schließlich auf Menschen übergegangen. Das Virus befällt vor allem die Lunge und die Atemwege. Die neue Krankheit COVID-19 – kurz Corona genannt – trat innerhalb weniger Wochen in der ganzen Welt auf. Vom ersten Auftreten der Krankheit bis Ende 2022 starben etwa 6 Mio. Menschen daran. Zuerst wurde versucht, durch Lockdowns die Ausbreitung der Krankheit zu verhindern. Doch erst, als wirksame Impfstoffe dagegen entwickelt worden waren, konnten die Menschen nach und nach ihr normales Leben wiederaufnehmen.


Trotz vereinzelter Heilungen gibt es bisher kein wirksames Heilmittel gegen AIDS. Moderne Therapien unterdrücken jedoch das HIVirus im Körper und verhindern seine Vermehrung. Betroffene können so weitgehend symptomfrei leben. HI-Viren verändern sich sehr rasch. Deswegen konnte bisher noch kein Impfstoff gegen HIentwickelt werden. Aktuell zeigt ein neuer Wirkstoff sehr vielversprechende Resultate. Ob er als Impfstoff tatsächlich taugt, muss erst durch weitere Studien belegt werden.

WICHTIG: Wenn du Erste Hilfe leistest, verwende Einmalhandschuhe und ein Beatmungstuch!
Pandemie, die: weltweites Auftreten einer Infektionskrankheit
Lockdown, der: engl.: Abriegelung; Menschen dürfen nur in dringenden Fällen ihre Wohnung verlassen und viele Unternehmen und Geschäfte werden gesperrt.
Wie ernähren sich Pilze auf Haut und Nägeln von Menschen?



Pilze ernähren sich von einem Eiweiß, nämlich dem Keratin. Dieses wird von der Hornschicht der Oberhaut bzw. von Nägeln gebildet. Von der Oberhaut wachsen die Pilzfäden in die Unterhaut hinein.
Milieu: hier – eine bestimmte Region
Kennst du jemanden, der an einer Allergie leidet? Welche ist es? Recherchiere, weshalb starke allergische Reaktionen gefährlich sein können und was im Notfall zu tun ist!

Allergische Reaktion –Bindehautentzündung

Bakterien als Krankheitserreger können mit Antibiotika bekämpft werden.

Nagelpilz

Fußpilz

Fußpilzerreger unter dem Mikroskop
PILZE: Typische Pilzerkrankungen sind Hautpilz, Nagelpilz oder Pilzinfektionen der Scheide. Eine Infektion mit einem Pilz ist in öffentlichen Bädern, Dusch- oder Waschräumen oder auch in der Sauna möglich, denn Pilze können sich besonders gut im feuchtwarmen Milieu vermehren. Die Sporen bleiben auf Hautschüppchen oder auch Kleidungsstücken haften.
PROTISTEN: Dies sind tierische Einzeller, die einige Tropenkrankheiten hervorrufen können wie Schlafkrankheit, Malaria, Amöbenruhr oder Bilharziose. Sie werden in tropischen oder subtropischen Ländern z. B. durch Stechmücken übertragen.
PRIONEN: Dies sind Eiweiße, die Veränderungen an Eiweißen der Nerven- und Gehirnzellen auslösen. Die veränderten Zellen sterben dann ab. Dies ist z. B. bei BSE und der Creutzfeldt-Jacob-Erkrankung der Fall. Beides sind unheilbare Gehirnerkrankungen.
Allergien sind übersteigerte Abwehrreaktionen des Immunsystems auf harmlose Stoffe wie Pollen oder Tierprodukte. Diese Stoffe nennt man Allergene. Sie befinden sich in der Atemluft, in der Nahrung oder auf Gegenständen.
Allergen
Antikörper

Gelangen Allergene in oder an den Körper, werden in Plasmazellen Antikörper gebildet. Diese Antikörper heften sich an die Oberfläche einiger Typen von weißen Blutkörperchen, welche Histamine herstellen. Kommt der Körper erneut in Kontakt mit demselben Allergen, werden diese Histamine abgegeben. Histamine rufen Symptome wie Schnupfen oder eine Bindehautentzündung hervor.

Virale Erkrankungen sind schwieriger zu bekämpfen.

HI-Viren verursachen
A IDS . Es gibt mehrere Möglichkeiten, sich davor zu schützen. Auch Pilze, Protisten und Prionen können Erkrankungen hervorrufen. Allergien sind übersteigerte Abwehrreaktionen des Immunsystems.



Plasmazelle
weißes Blutkörperchen
Schema einer Histaminabgabe
Heuschnupfen, Neurodermitis, allergisches Asthma, Nahrungsmittelallergien, Nesselausschlag, Haustierallergien und die Hausstaubmilbenallergie sind häufige Allergien, von denen ca. 15 % der Erwachsenen und 25 % der Kinder betroffen sind. Wissenschaftler/innen nehmen an, dass die Neigung zu einer Allergie vererbt wird.
Obwohl Sauberkeit wichtig ist, kann übertriebene Sauberkeit im Haushalt Allergien bei Kindern begünstigen. Häufiges Desinfizieren tötet zu viele Krankheitserreger ab. Diese sind aber notwendig, damit Kinder ein funktionierendes Immunsystem aufbauen können.

1) Großes Rätsel der Infektionskrankheiten – Löse dieses Kreuzworträtsel! %%%

senkrecht:
1. Medikamente, die gegen bakterielle Erkrankungen helfen
2. Krankheitserreger, die durch den Verzehr von rohen Eiern in den Körper gelangen können
3. keine echten Lebewesen, können aber Erkrankungen hervorrufen
4. Viren brauchen sie, um sich zu vermehren.
6. Pilzsporen bleiben an ihnen haften.
7. bakterielle Lungenkrankheit
10. Ältere Menschen und Babys können an diesem viralen Infekt sterben.

waagrecht:
5. Körperflüssigkeit, in der das HI-Virus nachweisbar ist
8. mögliche Verursacher für BSE
9. Tiere, die manche Tropenkrankheiten übertragen
11. Stoffe, die eine übersteigerte Abwehrreaktion des Immunsystems hervorrufen können
12. tierische Einzeller, die z. B. Malaria verursachen
13. Milieu, das von Pilzen bevorzugt wird

2) Was ist was? – Handelt es sich hier um eine bakterielle oder viral verursachte Erkrankung? Male die Kästchen mit den bakteriellen Erkrankungen BLAU, jene mit den viralen Erkrankungen ROT an! %%













bakterielle Erkrankung











3) Du hast Info-Material zur Verwendung von Kondomen als Präventionsmaßnahme gegen AIDS erhalten. Leider sind einige Wörter nicht mehr lesbar. Setze die Wörter aus der Wortliste richtig ein %%%
Etwa 80 % der Neuinfektionen mit dem _______________ in Österreich erfolgen durch ungeschützten Geschlechtsverkehr. Man spricht von ___________________, wenn man den Kontakt mit infektiösen Körperflüssigkeiten des Geschlechtspartners oder der Geschlechtspartnerin meidet. Als Prävention vor einer Ansteckung mit dem HI-Virus gilt nach wie vor das Verwenden eines __________________ als sicherste Methode. Es schützt nicht nur vor dem HI-Virus, sondern auch vor ungewollten Schwangerschaften und anderen übertragbaren ___________________. Kondome sind kostengünstig und in vielen Geschäften erhältlich. Auch in Lokalen oder öffentlichen Toiletten gibt es häufig die Möglichkeit, sich Kondome zu kaufen. Man kann zwischen verschiedenen _______________, Stärken, Farben und Geschmacksrichtungen wählen. Ein paar Dinge sollte man unbedingt beachten:
2 Kondome haben ein ____________________________ und sie sollten eine CE-Prüfnummer aufweisen.
2 Kondome sollten kühl, ______________ und lichtgeschützt gelagert werden.
2 Beim Öffnen der Packung das Kondom nicht ritzen!
2 Im Nippel an der Spitze des Kondoms sollte beim Aufrollen keine ________ sein R Platzgefahr!
2 Beim ________________ des Kondoms auf die Rollrichtung achten!
2 Das Kondom am Rollrand festhalten, damit beim Herausziehen des ___________ die Samenflüssigkeit nicht ausfließen kann!

2 Nach der Verwendung einen Knoten in das Kondom binden und mit dem Restmüll entsorgen!
2 Kondome nur _____________ verwenden!
2 Beim Einsatz von Kondomen ist die Verwendung von _____________________ vorteilhaft, weil Kondome dann weniger leicht reißen.
Größen © trocken © Ansetzen © Gleitmittel © Safer Sex © Krankheiten © einmal © Verfallsdatum © Penis © HI-Virus © Luft © Kondoms



Hände schütteln oder einander umarmen
Arztbesuche

4) Natürlich muss man vorsichtig sein in Bezug auf die Ansteckungsgefahr mit dem HI-Virus. Manches sollte man auf jeden Fall vermeiden und manches ist unbedenklich. Trage ein + ein, wenn etwas unbedenklich ist und ein – wenn du dies vermeiden sollst. %%

Verwenden von gebrauchten
Injektionsnadeln
Kontakt mit Blut
gemeinsames Benutzen von WC oder Bad
ungeschützter Sexualkontakt
Küssen auf die Wange
gemeinsames Benutzen von Essbesteck, Schreibzeug oder Kleidung
Gelsenstiche
verseuchte Blutkonserven bei einer Bluttransfusion
Unser Körper ist von einem dichten Geflecht von Nerven durchzogen. Sie übermitteln Signale von den Sinnesorganen an unser Gehirn und vom Gehirn zur Muskulatur. Nerven bilden ein komplexes verzweigtes System – das Nervensystem: Es wird folgendermaßen unterteilt:
Nervensystem


Zentrales
Nervensystem


Rückenmark
Empfindungsnerven Gehirn

Peripheres
Nervensystem

Somatisches Nervensystem


Bewegungsnerven
Dendriten
Zellkern
Zellkörper
Axon
Synapse
Neurotransmitter
Leitung: chemisch elektrisch

Das Gehirn
Vegetatives Nervensystem



Parasympathikus Sympathikus

Die Baueinheit des Nervensystems ist die Nervenzelle. Sie besteht aus einem Zellkörper und zahlreichen Fortsätzen. Die kurzen Fortsätze, die Dendriten, nehmen Informationen von den Sinneszellen oder von anderen Nervenzellen auf und leiten sie zum Zellkörper weiter. Die langen Fortsätze, die Axone, leiten aufgenommene Informationen an die nächste Nervenzelle weiter.
Die Verbindungsstellen zwischen zwei Nervenzellen sind die Synapsen. Diese sorgen mit chemischen Substanzen, den Neurotransmittern, für die Weiterleitung der Informationen. Innerhalb einer Nervenzelle werden Informationen als elektrische Impulse weitergeleitet.
Das Gehirn und das Rückenmark bilden das Zentralnervensystem. Beide sind durch Knochen geschützt. Das Gehirn liegt in der knöchernen Schädelkapsel, das Rückenmark im Wirbelkanal.
Nervenzelle
Das Gehirn ist die Kontrollzentrale unseres Körpers. Es wird in 5 Abschnitte eingeteilt: Großhirn, Zwischenhirn, Mittelhirn, Kleinhirn und Nachhirn.
GROSSHIRN: Es ist der größte Teil des Gehirns und kann aufgrund seines Aufbaus in die „graue Substanz“ und die „weiße Substanz“ unterteilt werden. Die Großhirnrinde des Großhirns wird hauptsächlich aus der „grauen Substanz“ gebildet. Sie besteht größtenteils aus Nervenkörpern.

Zentrales (rot) und peripheres Nervensystem
peripher: am Rand liegend

Übertragung von Nervenimpulsen zwischen Nervenzellen

Teile des Gehirns
Die Oberfläche des Großhirns hat Falten!


Darunter befindet sich die „weiße Substanz“, die einen hohen Fettanteil aufweist. Sie setzt sich größtenteils aus Nervenfasern zusammen, die zwischen den Hirnregionen vermitteln.

Diese Falten vergrößern die Oberfläche des Großhirns. Deshalb haben in der Rinde etwa 100 Mrd. Nervenzellen Platz.
Die Verknüpfung der Hirnzellen ist aber genauso wichtig für die Hirntätigkeit wie ihre Anzahl. Lernen lebt von der Wiederholung, da dadurch Verknüpfungen zwischen den Nervenzellen hergestellt werden.
Mrd.: Milliarde
Schädelknochen
Kopfhaut Beinhaut

Die in der Großhirnrinde liegenden Nervenzellen werden in größere Abschnitte, die Rindenfelder, zusammengefasst. Man unterscheidet zwischen motorischen und sensorischen, zwischen primären und sekundären Rindenfeldern sowie den Rindenfeldern der Sinnesorgane.
Steuern die Nervenzellen des primären motorischen Rindenfeldes hauptsächlich Bewegungen der Skelettmuskulatur, so sind jene des primären sensorischen Rindenfeldes für die Aufnahme bewusster Empfindungen zuständig (z. B. der Haut).
Die Nervenzellen der sekundären Rindenfelder können falls nötig jene der primären ersetzen. Sie speichern Empfindungen und vergleichen sie mit neuen.
Zu den Rindenfeldern der Sinnesorgane gehören die Seh- und die Hörrinde.
sensorische Rindenfelder
Sehrinde
harte Hirnhaut
weiche Hirnhaut Hirnmark
Spinnwebhaut
Schnitt durch die Schädelkapsel: Mehrere Häute und ein Flüssigkeitspolster schützen das Gehirn.
Begründe, weshalb es Sinn macht beim Radfahren, Skifahren oder bei anderen Sportarten einen Helm zu tragen!
logisch: strukturiert, klar
Vertiefendes zum Gehirn!



Hörrinde
motorische Rindenfelder
Nur das korrekte Zusammenspiel in einem Netzwerk aus verschiedenen Nerven, die aus unterschiedlichen Feldern stammen, ermöglicht eine vollständige Funktion des Gehirns.
Das Großhirn besteht aus der rechten und der linken Gehirnhälfte, die durch den Balken verbunden sind. Die beiden Gehirnhälften unterscheiden sich voneinander. Künstlerische Tätigkeiten werden vor allem von der rechten Hälfte gesteuert, während logisches Denken sowie das Sprechen und das Sprachverständnis vor allem in der linken Hälfte stattfinden. Alle bewussten Handlungen werden vom Großhirn gesteuert.
ZWISCHENHIRN: Dieses liegt unterhalb des Balkens. Es verknüpft die Erregungen der Sinnesorgane mit den entsprechenden Rindenfeldern des Großhirns, reguliert den Stoffwechsel, den Wasserhaushalt und die Körpertemperatur.
MITTELHIRN: In diesem werden hauptsächlich die eingehenden Informationen der Sinnesorgane bearbeitet und Informationen an Muskeln weitergegeben.

Mittel-, Klein- und Nachhirn bilden den Hirnstamm, den evolutionär ältesten Teil des Gehirns. Aus dem Gehirn entspringen zwölf paarige Nerven, die Kopf, Hals und Organe im Rumpf versorgen.
KLEINHIRN: Dieses reguliert das Bewegungszusammenspiel und das Gleichgewicht.
NACHHIRN: Es ist das verlängerte Mark und verbindet Rückenmark und Gehirn. Es steuert automatisch ablaufende Körperfunktionen wie Atmung, Herzschlag oder Blutdruck.
Das Rückenmark
weiße Substanz graue Substanz

Rückenmark im Wirbelkanal
Das Rückenmark verbindet das Gehirn mit den Nerven unseres Körpers. In der äußeren Schicht des Rückenmarks, der weißen Substanz, verlaufen die Nervenfasern vom und zum Gehirn. Im Inneren des Rückenmarks liegt die aus den Zellkörpern der Nervenzellen bestehende graue Substanz, die im Querschnitt einem Schmetterling ähnelt. Geschützt wird das Rückenmark durch einen Flüssigkeitspolster.
Wenn bei einem Unfall das Rückenmark durchtrennt wird, sind bestimmte Körperteile nicht mehr mit dem Gehirn verbunden. In diesem Fall spricht man von einer Querschnittslähmung.
Das Rückenmark hat 2 Hauptfunktionen:
2 Es leitet Signale zwischen Gehirn und peripherem Nervensystem weiter.
2 Es verarbeitet bestimmte Reize im Reflexbogen.
Handlung

Wenn du willkürlich nach deinem Handy greifst, melden die Empfindungsnerven deiner Hand diese Berührung über das Rückenmark an das Großhirn. Das Gehirn gibt die Impulse an die Bewegungsnerven weiter. Diese Impulse sind nötig, damit deine Hand auch sicher greifen kann. Die bewusste Handlung wird also vom Gehirn aus gesteuert.

Unbewusste Handlung – Reflex
Empfindungsnerv meldet: zu heiß

Bewegungsnerv meldet: Arm zurückziehen


Was passiert, wenn du stolperst?
Reiz
wird in eine Erregung umgewandelt

Wenn du auf eine heiße Herdplatte greifst, ziehst du deine Hand unwillkürlich zurück. Dies ist ein Reflex. Reflexe können nicht von unserem Willen gesteuert werden. Sie müssen rasch erfolgen, weil sie uns schützen. Bei einem Reflex erfolgt im Rückenmark eine Umschaltung direkt in die motorischen Nerven der grauen Substanz. Impulse verlaufen also zwischen Rückenmark und Muskeln. Die Meldung zum Gehirn und der Weg dorthin werden eingespart, sodass die Reaktionszeit verkürzt wird. In diesem Fall spricht man auch vom Reflexbogen.
Rückenmark motorische Nervenbahn sensorische Nervenbahn

Reaktion z. B. Zusammenziehen eines Muskels


Bist du schon einmal gestolpert? Dein Bein bleibt hängen, dann schnellt es nach vorne, um den Körper aufzufangen. Du reißt die Arme hoch, um das Gleichgewicht zu halten. All das geschieht automatisch, ohne dass du nachdenken musst. Was geschieht dabei in deinem Körper?
Im Oberschenkel sitzen Sinneszellen, die über Nerven die Information an das Rückenmark leiten, dass dein Bein sich nicht nach vorne bewegen lässt. Das Rückenmark löst sofort ein Signal aus, welches die Muskeln in den Beinen und den Armen aktiviert. Ein Reflex wurde ausgelöst, der dich vor dem Sturz bewahrt hat.
Setze dich auf einen Tisch und lass deine Unterschenkel frei in der Luft baumeln! Jemand anderer schlägt dir leicht mit der Handkante auf die Stelle unterhalb der Kniescheibe. Der Unterschenkel dieses Beines wird nach vorne schnellen, da durch den Schlag der Kniesehnenreflex ausgelöst worden ist.
somatisch: von griechisch „soma“ = Körper
vegetativ: von lateinisch „vegetare“ = beleben, reizen




Zum peripheren Nervensystem gehören die zu den Zentren, also Gehirn und Rückenmark, hin- und von ihnen wegführenden Nervenbahnen. Man unterscheidet zwischen dem somatischen und dem vegetativen Nervensystem.
SOMATISCHES NERVENSYSTEM: Das somatische Nervensystem besteht aus den Empfindungs- und den Bewegungsnerven. Empfindungsnerven übertragen die Reize der Sinnesorgane an das Gehirn weiter, während Bewegungsnerven die Befehle der motorischen Gehirnzentren zu den Muskeln leiten.
Sympathikus
Stell dir vor, du bist auf dem Weg in die Schule und zu spät dran. Dein Herzschlag und dein Atem erhöhen sich, die Blutgefäße werden weiter. Dadurch gelangen die benötigten Energiereserven rascher zu den Muskeln, wo sie jetzt gebraucht werden. Das Blut wird außerdem aus anderen Organen (z. B. Darm) abgezogen. Dein Sympathikus hat deinen Körper auf Hochleistung, nämlich auf Sprinten, eingestellt.
Parasympathikus
Eine Minute vor acht sitzt du auf deinem Platz in der Klasse – du hast es noch rechtzeitig geschafft. Nun sorgt der Parasympathikus dafür, dass dein Herzschlag und dein Atem wieder langsamer werden. Er aktiviert auch die Darmtätigkeit, um neue Energiereserven aufzubauen.
Sprint: Laufen mit größtmöglicher Geschwindigkeit
VEGETATIVES NERVENSYSTEM: Im Gegensatz zum somatischen wird das vegetative Nervensystem nicht von unserem Willen beeinflusst. Es steuert lebensnotwendige automatische Vorgänge in unserem Körper wie Herzschlag, Atmung, Blutdruck oder Verdauung und arbeitet auch im Schlaf oder bei Bewusstlosigkeit. Es wird vom Zwischenhirn gesteuert.
Im vegetativen Nervensystem wirken zwei Nervensysteme zusammen: der Sympathikus und der Parasympathikus. Sie sind „Gegenspieler“. Während der Sympathikus die Aktivität eines Organs anregt, hemmt der Parasympathikus dessen Tätigkeit. So regt der Sympathikus z. B. bei Gefahr, Angst oder Stress den Körper zu mehr Leistung an und bereitet ihn auf die erwartete Belastung vor. Der Parasympathikus hingegen sorgt für Entspannung, Ruhe und Regeneration. Er verlangsamt z. B. den Herzschlag oder die Atmung, regt aber die Darmtätigkeit an.


Auge
Lunge/Bronchien

Herz



Magen
Darm/Verdauung

Niere
Geschlechtsorgane
Sympathikus Parasympathikus
Erweiterung der Pupillen
Erweiterung
steigert Herzschlag
reduziert Magensaftproduktion
hemmt Darmfunktion
hemmt Nierenfunktion
Gefäßverengung, Beruhigung
Verengung der Pupillen
Verengung, Schleimproduktion
verringert Herzschlag
steigert Magensaftproduktion
steigert Darmfunktion
fördert Nierenfunktion
Gefäßerweiterung, Erregung
Auch der Tag- und Nachtrhythmus wird vom Zusammenspiel von Sympathikus und Parasympathikus bestimmt:
Steuert der Parasympathikus deinen Körper, dass du müde wirst und schlafen kannst,…


…so sorgt der Sympathikus für das Erwachen und die Aktivitäten tagsüber
Wie wirkt sich Stress aus?

Stress ist eine physische und psychische Reaktion, die entsteht, wenn du auf Druck reagieren musst. Denke an Anforderungen in der Schule oder deiner Eltern. Druck kannst du dir aber auch selbst machen, wenn du etwas unbedingt erreichen willst. Stress ist eine normale Reaktion auf Druck. Auch durch seelische Belastungen kann Stress entstehen und dein Körper reagiert darauf.
Ein wenig Stress wirkt mobilisierend und ist gut für den Körper. Dein Kreislauf wird angeregt, dadurch wird zusätzlich Energie umgesetzt, sodass du vor einer Prüfung konzentriert lernen kannst. Hast du die Stress auslösende Situation gemeistert, kannst du dich wieder entspannen und fühlst dich wohl. Wenn du aber über einen längeren Zeitraum immer wieder Stresssituationen ausgesetzt bist, kann dieser negative Stress zu psychosomatischen Beschwerden führen. Dabei handelt es sich um Erkrankungen, die meist nicht durch Infektionen oder Verletzungen verursacht werden. Stress führt auch zu Veränderungen in Gehirn und Gewebe. Er stört durch den ständig erhöhten Kortisolwert im Blut die hormonelle Steuerung des Körpers. Der Körper verlernt dadurch das Entspannen, was zu noch mehr Stress führt. In jedem Fall sollte man sich helfen lassen und ärztliche oder psychologische Unterstützung in Anspruch nehmen.
Meist kannst du nichts an den Auslösern für deinen Stress verändern. Du kannst aber etwas daran ändern, wie du damit umgehst. Folgende Tipps können dir behilflich sein:
2 Ernähre dich regelmäßig, gesund und ausgewogen!
2 Meide Koffeinhältiges wie Kaffee oder Energy-Drinks!
2 Achte auf ausreichenden Schlaf!
2 Übe regelmäßig körperliche Aktivitäten aus!
2 Mentales Training kann gegen Stress helfen.

Die WHO hat Stress zur Gesundheitsgefährdung des 21. Jh. und zur Volkskrankheit erklärt. Laut WHO ist seelischer Druck für etwa 70 % aller Erkrankungen verantwortlich!
Was ist Epilepsie?
Bei epileptischen Anfällen kommt es zur abnormalen Überaktivität oder gleichzeitigen Aktivierung vieler Neuronen in einzelnen oder mehreren Teilen des Gehirns. Die Symptome sind sehr unterschiedlich und reichen von Muskelzuckungen über Krämpfen bis hin zur Bewusstlosigkeit. Sie können sich aber auch in der Sinneswahrnehmung, Gefühlen und der Denkfähigkeit äußern. Kommt es öfters zu Anfällen spricht man von Epilepsie. Die genauen Hintergründe und Ursachen für Epilepsie sind noch nicht verstanden.
Wie erlebst du deinen Körper vor Prüfungen oder in anderen Situationen, wenn du Angst hast?
Sprecht in Kleingruppen über Prüfungsangst und was man dagegen tun kann!
Gehirnerschütterungen
Stößt das Gehirn durch starke, abrupte Bewegungen oder Schläge auf den Kopf gegen die Schädelwand, kann es verletzt werden. Oft reißen auch Nervenverbindungen. Dies kann zu Kopfschmerzen, Schwindel, Übelkeit und Sehstörungen führen. Auch Verwirrtheit, verlangsamtes Denkvermögen und Gedächtnisverlust können auftreten. Die Beschwerden klingen meist nach einigen Tagen wieder ab, ein Arztbesuch ist aber auf jeden Fall ratsam.
Volkskrankheit: Krankheit, die viele Menschen befällt
Kortisol: Ein Hormon, das dem Körper energiereiche Stoffe zur Verfügung stellt.
Typische psychosomatische Beschwerden!
2 Gefühl von Einsamkeit, Hoffnungslosigkeit, Angst
2 Kopfschmerzen, Konzentrationsschwierigkeiten
2 Atemprobleme
Das somatische Nervensystem, das aus den Empfindungs- und den Bewegungsnerven besteht, und das vegetative Nervensystem, das die automatischen Vorgänge in unserem Körper steuert, bilden das periphere Nervensystem Geschirrspüler ausräumen


2 Herz-Kreislauf-Probleme
2 Hoher Blutdruck
2 Übelkeit
2 Magen-DarmBeschwerden

Gehirn und Rückenmark sind das zentrale Nervensystem. Sie steuern bewusste und unbewusste Handlungen/Reflexe





Strategie: planvolles Vorgehen
zwanghaftes Verhalten: ein Verhalten, das die oder der Betroffene immer wieder an den Tag legen muss
GENUSS maßvoll

GEWOHNHEIT das Maß fehlt
MISSBRAUCH die Kontrolle fehlt
SUCHT zwanghaft
Schrittweises Entstehen von Sucht
Diskutiert in Kleingruppen über die einzelnen Punkte! Versucht, euch die Aussagen gegenseitig in einfachen
Worten zu erklären! Kannst du Anzeichen von Sucht bei dir oder jemandem aus deinem Umfeld feststellen?
Such dir etwas aus, was du gerne machst (YouTube schauen, Computerspielen, Zeit auf Social Media oder in Chats verbringen, usw.)!
Verzichte für die nächsten 24 Stunden darauf! Berichte in der Klasse, wie es dir dabei ergangen ist!
Droge: Heilmittel, Rauschgift
Entzugserscheinung: Reaktion darauf, dass man eine Substanz nicht mehr einnimmt
legal: gesetzlich, ab einem gewissen Alter erlaubt
illegal: ungesetzlich, nicht erlaubt
Jeder Mensch hat andere Strategien mit Stress oder seelischen Belastungen umzugehen. Während einige Menschen auf Druck mit verändertem Verhalten reagieren, versuchen andere, durch die Einnahme von Medikamenten oder anderen Substanzen auftretende Stresssymptome zu bekämpfen. Vor allem unkontrollierte Medikamenteneinnahme kann zu einem Suchtverhalten führen.
Sucht ist ein zwanghaftes Verhalten. Jemand, der an einer Sucht leidet, fühlt sich nur dann wohl und sicher, wenn er bestimmte Substanzen zu sich nimmt oder ein bestimmtes Verhalten an den Tag legt. Sie oder er ist psychisch abhängig
In manchen Fällen reagiert der Körper auch mit Krankheitssymptomen, wenn die oder der Süchtige die Substanzen, nach denen sie/er süchtig ist, nicht einnimmt. Dann spricht man von physischer oder körperlicher Abhängigkeit.
Eine Sucht entsteht nicht von einem Tag auf den anderen, sondern zumeist Schritt für Schritt. Den Betroffenen fällt es meist auch schwer zu erkennen, dass sie selbst nach etwas süchtig sind.














Alkohol Nikotin Koffein






Schnüffelstoffe



Verordnete Medikamente


Spielsucht


Opiate



Kokain und Crack



Cannabisprodukte



Halluzinogene



Synthetische Drogen

nicht verordnete Medikamente

Typische Anzeichen für Suchtverhalten sind …
2 ein starker Wunsch nach einer bestimmten Substanz

(Soziale-) Mediensucht

Computersucht

Kaufsucht

Pornosucht

Ess- / Magersucht andere Süchte


2 Fortführung des Konsums trotz Auftreten von eindeutigen körperlichen, psychischen und sozialen Folgeschäden
2 Vernachlässigung anderer Vergnügungen und Interessen zugunsten des Konsums der Substanz
2 Kontrollverlust über die Menge und die Dauer des Konsums
2 körperliche und/oder psychische Entzugserscheinungen bei Beendigung oder Reduzierung der Einnahme der Substanz
2 Gewöhnung an diese Substanz, sodass man immer mehr braucht
Man unterscheidet zwischen legalen und illegalen Stoffen.
Manche Suchtmittel sind legal, viele jedoch illegal ...
Aufputschende (stimulierende) Substanzen: Viele Menschen möchten leistungsfähiger, konzentrierter oder selbstbewusster sein. Manche von ihnen greifen dazu zu Substanzen, die das Zentralnervensystem aktivieren. Dabei werden Müdigkeit und Erschöpfung nicht mehr wahrgenommen (sind aber noch vorhanden!) Bei einigen Stoffen tritt ein Hochgefühl auf. Lässt die Wirkung nach, ist der Körper umso mehr ausgebrannt und es kommt zum „Crash“.
Koffein wird vor allem über Kaffee und Energy Drinks konsumiert. Der Körper gewöhnt sich jedoch rasch daran und die Effekte sind oft mehr psychischer Natur.
Nikotin wirkt rasch und in geringen Dosen stimulierend. Es wird vor allem über den Rauch von Zigaretten, E-Zigaretten (Vape) und Shishas aber auch oral als „Snus“ konsumiert. Nikotin macht schnell abhängig. Zusätzlich schädigen verschiedene andere giftige sowie krebserregende Inhaltsstoffe den Körper beim Konsum.
Medikamente wie z.B. gegen ADHS, haben aufputschende Wirkung. Werden sie missbraucht, also ohne medizinische Notwendigkeit oder zu hoch dosiert eingenommen, können sie zur Abhängigkeit führen.
Schnüffelstoffe sind Substanzen (Farben, Kleber usw.), die Dämpfe abgeben. Auch Lachgas wird dazu gezählt. Die Dämpfe werden inhaliert, und erzeugen einen kurz anhaltenden, oft halluzinogenen Rauschzustand. Das Inhalieren führt zu schweren Langzeitschäden, vor allem am Zentralnervensystem, der Leber und der Lunge.
Kokain gilt als das Aufputschmittel schlechthin. Kokain wird geschnupft, als Tablette eingenommen, flüssig in die Venen gespritzt oder als Crack geraucht. Mit der Einnahme erfolgt eine sehr rasche und starke psychische Abhängigkeit.
Methamphetamin ist eine hoch gefährliche synthetische Droge. Es ist vor allem als Crystal Meth oder Ice bekannt und gehört zu jenen Drogen, die am schnellsten in die Abhängigkeit führen. Es weist eine hohe zerstörerische Wirkung auf den Organismus auf.
Ecstasy wird als Partydroge gesehen. Da die Körpertemperatur steigt und das Durstgefühl nachlässt, besteht die Gefahr von Flüssigkeitsmangel im Körper.
Betäubende Substanzen deaktivieren das Zentralnervensystem, wodurch sie schmerzstillend und entspannend, oft eine Hochstimmung erzeugend wirken. Ein Missbrauch ist für Menschen verlockend, die seelischem Schmerz oder ihrer Weltwahrnehmung entfliehen wollen. Meist hängt dies mit Problemen wie Gewalt, Missbrauch in der Familie oder seelischer Verwahrlosung zusammen. Häufig werden verschreibungspflichtige Beruhigungsmittel missbraucht. Besonders während der Corona Pandemie nahm die Zahl an Substanzmissbrauchsfällen unter Jugendlichen deutlich zu.
Alkohol ist eine weitgehend akzeptierte Droge und Bestandteil vieler sozialer Rituale. Der Konsum von alkoholischen Getränken beeinflusst unsere Wahrnehmung und wirkt sich auf unser Denken, Fühlen und Verhalten aus. Je früher der Einstieg in den Alkoholkonsum erfolgt, desto wahrscheinlicher ist es, dass ein Mensch im Laufe seines Lebens Alkoholprobleme bekommt.
Cannabinoide werden meistens als Marihuana (getrocknete Teile der Pflanze) oder Haschisch (gepresstes Harz), gewonnen aus indischem Hanf, als Joint geraucht und führen zu Wahrnehmungsveränderungen. Starker Cannabiskonsum über längere Zeit kann zu Verminderung der Aufmerksamkeits-, Konzentrations- und Lernfähigkeit sowie zu Gedächtnisproblemen führen. Es folgt eine psychische Abhängigkeit. Moderne Sorten sind sehr stark und teilweise mit synthetischen Cannabinoiden behandelt.
Weg zum Nikotin! Mit Nikotinkonsum wird meist begonnen um „dazuzugehören“ oder sich erwachsen zu fühlen. Nach dem ersten Ausprobieren folgt häufig die Experimentierphase, in der unregelmäßig, aber wiederholt geraucht wird. In der nächsten Phase werden Zigaretten regelmäßig konsumiert, wobei gleichzeitig die psychische und physische Abhängigkeit von Nikotin beginnt.

Diskutiert in der Klasse die Wirkung von Gruppendruck und dem Bedürfnis, dabei zu sein, wenn es um Drogen geht! Wart ihr schon einmal in einer entsprechenden Situation?
ADHS: Aufmerksamkeitsdefizitund Hperaktivitätsstörung. inhalieren: einatmen Recherchiere die negativen Folgen von zwei der im Buch erwähnten Drogen!
Verwahrlosung: Vernachlässigung
Verfasse einen Text zu deinen Erfahrungen während der Pandemie und stelle Vermutungen auf, weshalb Jugendliche verstärkt zu Drogen griffen!


Auswirkungen der Einnahme von Crystal Meth nach 2,5 Jahren link: www.facesofmeth.us
Verzerrte Sicht!

Digitale Medien vermitteln oft einseitige und unrealistische Rollenbilder und Ansichten auf einen selbst und die Welt. Viele Jugendliche, vor allem Mädchen, verspüren oft einen starken Druck bezüglich ihres Aussehens. Radikalisierung ist ein weiteres Problem. Der Umgangston in online Medien ist oft sehr rau bis offen feindselig (Cybermobbing), was zu Selbstzweifeln bis hin zu Depressionen und Selbstmordgedanken führen kann.

Prävention: vorbeugende Maßnahmen

Ketamin ist ein medizinisches Betäubungsmittel und wird auch zur Behandlung von Depressionen benutzt. Als Droge verwendet, kann es außerkörperliche Erfahrungen und Scheinwahrnehmungen verursachen.
Opiate sind Drogen, die aus dem Schlafmohn gewonnen werden. Zu ihnen zählt man Opium, Morphium und Heroin Sie verändern das Bewusstsein und wirken stark beruhigend oder schmerzlindernd. Eine psychische und körperliche Abhängigkeit erfolgt sehr schnell.
Psychedelika wie LSD, Magic Mushrooms, DMT und Mescalin wirken halluzinogen und verändern die Außen- und Innenwahrnehmung, was oft als spirituelle Erfahrung wahrgenommen wird. Da Stimmungen verstärkt werden, können sogenannte Horrortrips mit Angst- und Panikzuständen entstehen.



Unter den nicht substanzgebundenen Süchten sind vor allem die digitale und soziale Mediensucht bei Jugendlichen auf dem Vormarsch. Die Medien sind so gestaltet, dass sie beständig neue Inhalte, meist in leicht aufnehmbaren Häppchen, liefern. Im Gehirn löst das ein Gefühl freudiger Erwartung und Spannung aus, dem man sich sehr schwer entziehen kann. Durch den ständigen Strom an Eindrücken kann das Gehirn Informationen schlechter verarbeiten und behalten. Es fehlen Ruhephasen. Aufmerksamkeits- und Lernleistungen werden dadurch deutlich beeinträchtigt. Da viele Jugendliche stark an in die verschiedenen Plattformen gebunden werden und viel Zeit damit verbringen, entsteht ein Gruppendruck, dabei sein zu müssen. Es entsteht die Angst, etwas zu verpassen, was Stress erzeugt und das Suchtpotenzial erhöht.
Suchtprävention
Ein Auto braucht im Tank den richtigen Treibstoff. Stell dir vor, du wärst ein Auto! Auch du hast einen Tank, deinen „Seelentank“. Auch in diesem Seelentank brauchst du Treibstoff, damit du gut „läufst“.


Sucht ist ein zwanghaftes Verhalten. Man unterscheidet stoffgebundene und stoffungebundene Süchte, die zu psychischer oder physischer Abhängigkeit führen können.


Spaß Anerkennung
Liebe
Abenteuer
Sinnhaftigkeit Geborgenheit usw.
Aber was ist der „richtige Treibstoff“ für dich? Das kannst nur du selbst herausfinden. Möglicherweise sind es Freundinnen oder Freunde, Natur, Sport, Kunst oder etwas ganz anderes. Sobald du das weißt, kannst du deinen Seelentank füllen. Gelingt dir das nicht, dann besteht die Gefahr, dass du Zuflucht zu Ersatzhandlungen suchst. Sucht ist eine mögliche Folge. Dieses Tankmodell hilft dir, Suchtprävention zu betreiben.
TIPPS: Wie ich mein Leben lebenswert gestalten kann und keine Drogen brauche!
2 Ich umgebe mich mit Menschen und führe Aktivitäten aus, die mir gut tun.
2 Ich achte auf meine Wahrnehmungen und höre auf meine Gefühle.
2 Ich achte auf meine Ernährung.
2 Ich setze mir große und kleine Ziele.


1) Parasympathikus und Sympathikus wirken jeweils unterschiedlich auf die Organe. Ziehe Linien zum jeweils richtigen Wort! %%
Parasympathikus
Pupille
Herz
Bronchien
Magensaftproduktion
Darmtätigkeit
Geschlechtsorgane
Niere

Verengung
Erweiterung
Hemmung
Anregung
Erweiterung
Verengung
Hemmung
Förderung
Hemmung
Förderung
Gefäßverengung
Gefäßerweiterung
Förderung
Hemmung
Sympathikus
Pupille
Herz
Bronchien
Magensaftproduktion
Darmtätigkeit
Geschlechtsorgane
Niere
2) Gibt es Wünsche, die du hast? Wenn ja, notiere sie auf einem Blatt Papier! Unterscheide dabei zwischen verschieden realisierbaren Wünschen! Überlege auch, ob es wirklich so schlimm ist, wenn du einige dieser Wünsche nicht realisieren kannst! Kannst du sie durch andere ersetzen, die realisierbar sind? Tipp: Die Tabelle hilft dir! %%
Wünsche sind …

Wünsche, die ich habe
einfach zu erfüllen schwer zu erfüllen nie zu erfüllen
3) Klassendiskussion %
• Haben Klassenkolleg/innen ähnliche Wünsche wie du?
• Wie gut realisierbar schätzen sie deine Wünsche ein?
• Gibt es Wünsche oder Erwartungen, die du hattest und die bereits erfüllt wurden?
4) Fülle nun deinen eigenen „Seelentank“, indem du in diesen Kanister alles hineinschreibst, was du brauchst, damit es dir in der Schule gut geht! %
Was kann ich dazu beitragen, um diese Wünsche zu erfüllen?


5) SPIELANLEITUNG: Was findest du an anderen gut? Ein Spiel für die ganze Klasse! % a) Jeder in der Klasse schreibt auf ein leeres Blatt Papier: „Mir gefällt an dir, dass…“, heftet es auf seinen Rücken und geht in der Klasse herum.
b) Nun überlege, was du an den anderen gut findest, was dir an ihr oder ihm gefällt, und schreibe das für sie/ihn auf das Blatt auf ihrem/seinem Rücken!
c) Nimm dir anschließend Zeit und lies dir dein Blatt in Ruhe durch – vielleicht bewahrst du es auch auf?
Überlegungen zum Schluss: Kann ich die Sichtweise der anderen annehmen? Was überrascht mich daran?

6) Die Silben einiger substanzgebundener und nicht substanzgebundener Suchtmittel bzw. Aktivitäten haben sich hier versteckt. Finde die 12 Begriffe! Schreibe jeweils einen in die vorgesehene Zeile und schätze ab, ob man stärker psychisch oder physisch davon abhängig wird, indem du ein Kreuz in das Kästchen setzt! %%% Al- © Ar- © -beits- © -bis © Can- © -di- © Ecs- © -fe © -fe- © -fel- © He- © -hol © In- © -in © -in © -in © -ka- © -ka- © Ko- © Kof- © -ko- © Me- © -men- © -na- © -net- © -ro- © Schnüf- © Spiel- © Sport- © -stof- © -sucht © -sucht © -sucht © -sucht © -sy © -ta- © -te © -ter-




Das Auge ist das für den Menschen mit Abstand wichtigste Sinnesorgan, da es Lichtreize verarbeitet. Mit unseren Augen nehmen wir Reize auf, Nerven leiten diese Erregung dann an das Gehirnzentrum weiter, wo letztendlich die Wahrnehmung erfolgt. Funktioniert ein Teil dieses Sinnessystems nicht, entsteht keine Wahrnehmung.
Unsere Augen liegen gut geschützt in der knöchernen Augenhöhle. Augenbrauen, Wimpern und die beiden Lider schützen die Augen vor Schweiß und kleinen Partikelchen, die ins Auge eindringen können. Von den Tränendrüsen wird Tränenflüssigkeit abgegeben und mit dem Lidschlag am Auge verteilt, um das Auge zu reinigen und zu befeuchten. Dann fließt die Tränenflüssigkeit durch den Tränenkanal zur Nase ab.
Der Aufbau des Auges
hintere Augenkammer
Ziliarkörper
Linse
Glaskörper
Blutgefäße
gelber Fleck
Netzhaut
Aderhaut
weiße Augenhaut
Tränenkanal
Tränendrüse

Tränendrüse und -kanal

Die wichtigsten Teile des Auges
Hornhaut
Erinnere dich! In der 1. Klasse hast du die von außen sichtbaren Teile des Auges kennengelernt. Nenne sie!
Lidheber
Pupille Regenbogenhaut
Die Hülle des Auges besteht aus 3 Häuten:
Partikelchen: sehr kleine Teile
Warum musst du dir die Nase putzen, wenn du weinst?
oberer gerader Augenmuskel oberer schräger Augenmuskel
seitlicher schräger Augenmuskel unterer schräger Augenmuskel
vordere Augenkammer
Wie wird das Auge bewegt?


unterer gerader Augenmuskel
Augenmuskel
Ganz außen liegt die weiße Augenhaut, die Lederhaut des Auges. Sie besteht aus festem Bindegewebe. An ihr setzen die Augenmuskeln an. Die durchsichtige und berührungsempfindliche Hornhaut ist mit der Augenhaut verwachsen. Hinter der Hornhaut liegen die farbige Iris (Regenbogenhaut) und die Pupille, die schwarz erscheint. Die Pupille regelt die einfallende Lichtmenge durch Veränderungen ihrer Weite. Dies wird von den Muskeln in der Regenbogenhaut gesteuert.
In der hinteren Hälfte der Augenwand liegt die Aderhaut. Sie ist der blutreichste Teil des Auges, da sie von zahlreichen Kapillaren durchzogen ist. Die Netzhaut ist die innere Schicht und jener Teil des Auges, der mit 150 Mio. Sehsinneszellen die Lichtreize aufnimmt.
Im Innenraum des Auges – zwischen Linse und Netzhaut – liegt der Glaskörper. Er besteht aus einer durchsichtigen, gallertartigen Flüssigkeit. Der Sehnerv leitet die Erregungen der Sehsinneszellen vom Auge an das Gehirn weiter. Der Sehnerv besteht aus zahlreichen Fasern, welche die Neuriten der Sehsinneszellen sind. Jene Stelle, an der der Sehnerv aus dem Glaskörper austritt, nennt man blinder Fleck, weil sich an dieser Stelle keine Sehsinneszellen befinden. Als gelben Fleck bezeichnet man die Stelle an der Netzhaut, an der sich die meisten Sehsinneszellen befinden.


Das Auge wird mit Hilfe von 6 Muskeln seitwärts, einwärts, nach oben und unten bewegt. Auch unbewusst führen die Muskeln ständig winzige Bewegungen durch. Deshalb trifft das einfallende Licht nicht immer auf dieselben Sehsinneszellen der Netzhaut.

Neurit: langer, schlauchartiger Nervenzellfortsatz zur Reizleitung
Das Seh-Sinnessystem ermöglicht uns:
2 ca. 160 reine Farben und 600 000 Farbschattierungen zu unterscheiden
2 genau zu erkennen, wo sich etwas befindet
2 die Orientierung im Raum
Warum ist die Pupille nicht immer gleich groß?
Die Größe der Pupille wird durch die Muskelfasern der Regenbogenhaut verändern.



Verkleinerte Pupille: In einer hellen Umgebung verkleinert sich die Pupille.

Vergrößerte Pupille: Im Dunkeln öffnet sich die Pupille, sodass möglichst viel Licht einfallen kann.
Probiere es aus: Halte einen Stift knapp vor deine Augen, sodass du ihn scharf sehen kannst! Wie siehst du den Hintergrund?
Fixiere nun einen Gegenstand im Hintergrund! Was passiert mit dem Stift?
Funktion des Auges – Sehen
Ohne Licht könnten wir nicht sehen. Licht, das von einem Gegenstand reflektiert wird, trifft auf die Hornhaut und wird gebrochen und umgelenkt. Es durchquert die Pupille bis es zur verformbaren Linse gelangt. Hier wird es noch einmal gebrochen und so gebündelt, dass es durch den Glaskörper hindurch exakt auf die Sehsinneszellen der Netzhaut trifft. An ihr entsteht ein auf dem Kopf stehendes Bild des Gegenstandes. Von den Sehsinneszellen werden die Erregungen ins Gehirn geleitet. Erst dort wird die Information so verarbeitet, dass ein aufrechtes Bild wahrgenommen wird.
Wie entstehen Bilder?
Die Sehsinneszellen der Netzhaut werden durch eindringende Lichtstrahlen erregt. Diese Erregungen leitet der Sehnerv in Form von elektrischen Signalen an das Gehirn weiter. Dort werden die Signale aufgeschlüsselt und in Bilder verwandelt.



Bildentstehung im Auge
Um in der Nähe Dinge scharf zu sehen, braucht unser Auge eine andere Einstellung als für Dinge, die weiter entfernt sind. Diese Entfernungseinstellung nennt man Akkommodation. Stellt sich das Auge auf einen Gegenstand in der Nähe ein, spannt sich der Ringmuskel um die Linse. Mit angespanntem Ringmuskel ermüdet das Auge rascher. Dabei werden die Haltefasern der Linse locker und die elastische Linse wölbt sich stärker. Durch die stärkere Lichtbrechung werden Gegenstände in der Nähe scharf gesehen.

Nahakkommodation
angespannter Ringmuskel raschere Ermüdung

entspannte Fasern gewölbte Linsenform
Stellt sich das Auge hingegen auf einen Gegenstand in der Ferne ein, entspannt sich der Ringmuskel. Dabei ziehen die Fasern die Linse auseinander und ihre Form wird flacher. Die Lichtstrahlen werden weniger stark gebrochen und entfernte Gegenstände auf der Netzhaut scharf abgebildet. Der Ringmuskel wird bei der Fernakkommodation weniger beansprucht als bei der Nahakkommodation. Deswegen ist das Sehen in die Ferne weniger anstrengend als Lesen oder konzentriertes Betrachten eines Bildschirms.

Fernakkommodation
entspannter Ringmuskel langsamere Ermüdung

flache Linsenform
angespannte Fasern
Mit unseren Augen können wir einerseits zwischen Farben und andererseits zwischen Hell und Dunkel unterscheiden. Dafür haben wir auf der Netzhaut zwei unterschiedliche Typen von Sehsinneszellen: Stäbchen und Zapfen
Licht

Schnitt durch die Netzhaut
Nervenzellen
Schaltzellen
Stäbchen Zapfen
Es gibt 3 unterschiedliche Arten von Zapfen, jeweils eine für den Farbbereich Rot, Grün oder Blau. Gemeinsam ermöglichen sie die Wahrnehmung aller Farben, die wir unterscheiden können.
Fällt Licht auf die Zapfen , werden diese erregt. Diese Erregung wird zu den Nervenzellen und von den Neuriten, die den Sehnerv bilden, zum Gehirn weitergeleitet. Dieses verarbeitet die Signale der 3 Zapfenarten. So nehmen wir Farben wahr. Damit die Zapfen reagieren, benötigen sie eine gewisse Lichtmenge. Ist nicht genügend Licht vorhanden, können wir daher keine Farben wahrnehmen.
Stäbchen reagieren schon bei geringeren Lichtmengen, allerdings erlauben sie kein Farbsehen, sondern nur das Unterscheiden von Hell und Dunkel. Deswegen erscheinen uns in der Dämmerung Farben nur noch als grau.
Unsere beiden Augen haben einen bestimmten Abstand voneinander. Jedes Auge nimmt dasselbe Bild aus einer etwas anderen Richtung auf. Das Gehirn schafft aus dieser minimalen Abweichung ein räumliches dreidimensionales Bild. So können wir die Entfernung und die Größe von Gegenständen abschätzen.


Unser Gehirn verarbeitet Bilder aufgrund von Erfahrungen, die wir im Verlauf unseres Lebens machen.
So wissen wir, dass Gegenstände, die weiter entfernt sind, kleiner erscheinen.
Das kann im Gehirn aber auch zu optischen Täuschungen führen.

Was ist Farbenblindheit? Bei manchen Menschen sind die Zapfen, die für rotes und grünes Licht empfindlich sind, nicht voll funktionsfähig. Deshalb können rote und grüne Farben nicht unterschieden werden. Man spricht daher von einer „Rot-GrünFarbenblindheit“.




Wahrnehmung bei Rot-GrünFarbenblindheit

Farbentafel zum Erkennen einer Rot-GrünFarbenblindheit
Sicherlich kennst du das Sprichwort: „Nachts sind alle Katzen grau“. Erkläre, warum dieses Sprichwort richtig ist!
In dieser Fotomontage sind alle Frauen gleich groß. Jedoch erscheinen die beiden Frauen oben im Bild größer als die Frauen im unteren Ausschnitt. Da es so aussieht, als ob sie sich im Bild weiter entfernt befinden würden, nimmt unser Gehirn an, dass sie auf dem Foto größer sein müssen als sie in Wirklichkeit sind.
Brechkraft: gibt an, wie stark ein Lichtstrahl in einer Linse abgelenkt wird
Augenfehler und Erkrankungen der Augen
Viele Menschen leiden an Weitsichtigkeit oder Kurzsichtigkeit. In beiden Fällen entsteht das Bild eines Gegenstandes nicht direkt auf der Netzhaut. Das kann daran liegen, dass die Brechkraft der Linse zu groß oder zu klein ist, oder dass der Augapfel zu kurz oder zu lang ist. Die Brechkraft wird in Dioptrien (dpt) gemessen.


konkave Linse (Zerstreuungslinse)
Wenn Menschen kurzsichtig sind, entsteht das Bild beim Betrachten ferner Gegenstände vor der Netzhaut . Eine Brille/Kontaktlinse mit einer Zerstreuungslinse , die eine konkave Form hat, sammelt die Lichtstrahlen so, dass sie auf der Netzhaut auftreffen.

Bindehautentzündung
Achte auf deine Augen! Welche Maßnahmen kannst du treffen, um deine Augen zu schützen?



konvexe Linse (Sammellinse)
Bei Menschen mit einer Weitsichtigkeit entsteht das scharfe Bild hinter der Netzhaut. Eine Brille/Kontaktlinse mit einer Sammellinse, die eine konvexe Form hat, kann diesen Augenfehler korrigieren. Der Brennpunkt wird nach vorne auf die Netzhautebene verschoben.
ALTERSSICHTIGKEIT: Ein Großteil der Menschen ist etwa ab dem 40. Lebensjahr von der Alterssichtigkeit betroffen. Man kann in der Nähe nicht mehr scharf sehen, weil die Elastizität der Linse mit zunehmendem Alter abnimmt. Dies führt dazu, dass sich die Linse bei der Naheinstellung nicht mehr ausreichend wölbt. Auch hier können Brillen mit Sammellinsen Abhilfe schaffen.
BINDEHAUTENTZÜNDUNG: Bei einer Bindehautentzündung wirkt das Auge gerötet und glasig, weil die Bindehaut anschwillt und stärker durchblutet ist. Die Ursachen für diese Erkrankung können allergische Reaktionen sein, aber auch Fremdkörper im Auge oder Entzündungen, die durch Bakterien oder Viren verursacht worden sind, lösen eine Bindehautentzündung aus. Die Augen sondern vermehrt Sekret ab. Im Falle einer Bindehautentzündung muss unbedingt eine Ärztin/ein Arzt aufgesucht werden.



Das Auge ist ein kompliziert aufgebautes Organ. Nah- und Fernakkommodation lassen uns Gegenstände in unterschiedlicher Entfernung scharf sehen. Die Pupille reguliert, wie viel Licht ins Auge einfallen kann. Stäbchen und Zapfen sind die Sehsinneszellen in der Netzhaut. Kurz- und Weitsichtigkeit sind häufige Fehlsichtigkeiten.


GERSTENKORN: Ein Gerstenkorn ist eine eitrige Entzündung am Lidrand. Meist ist eine Infektion der Schweiß- oder Talgdrüsen die Ursache. In schwierigeren Fällen muss die Ärztin/der Arzt die Schweißdrüse öffnen und mit einer antibiotischen Salbe behandeln.
Gerstenkorn

GRAUER STAR: Beim Grauen Star handelt es sich um eine Trübung der Linse. Davon sind häufig Menschen über 65 Jahren betroffen, in seltenen Fällen kann sie auch angeboren sein. Diese Trübung führt dazu, dass das wahrgenommene Bild an Schärfe verliert. Der Graue Star kann operativ behandelt werden, indem die getrübte Linse entfernt und durch eine Kunstlinse ersetzt wird.
GRÜNER STAR: Ist der Augeninnendruck dauerhaft krankhaft erhöht, kommt es zu einer Schädigung des Sehnervs und man spricht vom Grünen Star. Wird diese Erkrankung nicht behandelt, kann sie zur Erblindung führen. Deshalb ist es insbesondere ab dem 40. Lebensjahr wichtig, regelmäßige Kontrolluntersuchungen bei der Augenärztin/beim Augenarzt machen zu lassen.

1) Visuelle Illusionen – Noch mehr optische Täuschungen! Es gibt viele Arten, wie unsere Wahrnehmung getäuscht werden kann. Lies die Beschreibungen durch und setze dann zu den Abbildungen die Zahl der passenden optischen Täuschung! %%

Parallele Linien
Obwohl mehrere Linien parallel zueinander sind, sieht es so aus, als ob sie schräg aufeinander zulaufen würden.
Zwei gleich lange Pfeile wirken unterschiedlich lang, wenn bei einem Pfeil die Spitzen nach außen und beim anderen die Spitzen nach innen gerichtet sind. 1



Müller-Lyer-Illusion








2 3 5 6

4

















2) Kurz- und Weitsichtigkeit! – Zeichne zuerst bei den Abbildungen A den Strahlengang ein! Zeichne dann bei den Abbildungen B jene Linsen ein, die Abhilfe schaffen können! Tipp: Sieh auf S. 70 bzw. S. 72 nach! %%%%%

1A 1B 2A 2B



3) Augenverletzung – wie verhalte ich mich richtig? Versuche, diesen Wellentext zu lesen, und übertrage ihn dann als Übersicht in dein Heft! %
Kleine Teilchen wie etwa Wimpern können mit einem Tuch vorsichtig in Richtung Nase gerieben werden Befinden sich kleine Metallteilchen im Auge sollte man sofort einen Arzt/eine Ärztin aufsuchen und das betroffene Auge mit einem Tuch abdecken. Spritzer von Chemikalien sofort mit fließendem Wasser auswaschen und einen Arzt/eine Ärztin aufsuchen! Waren die Augen starken Schlägen ausgesetzt unbedingt einen Arzt/eine Ärztin aufsuchen!
4) Mehr als nur sehen! Lies den Text und sprich mit Klassenkolleg/innen darüber! %%%

Beim Sehen spielt ben erfahren, dass en mit mehr Dista ahrungen beim Se Vorgang. Jede/r si und Wahrnehmun die Erfahrung nahe Gegenständ nz verblassen. Un hen mit ein. Sehe eht mit ihren od gen generell sind eine wichtige e größer ersch ser Gehirn bere n ist auch ein s er seinen eigene subjektiv.

5) Lies diese 2 Zeilen und sage, so schnell es geht, immer die Farbe und nicht das Wort!%
Wir ha einen oder Farb chnet diese Erf ehr individueller n Augen. Sehen
GRAU ROSA GELB ORANGE VIOLETT BLAU SCHWARZ
Mit dem Ohr können wir nicht nur Töne und Geräusche als Reize aus der Umwelt aufnehmen. Mit ihm können wir auch die Lage und die Bewegung unseres Körpers feststellen.
Aufbau des Ohres und der Gehörsinn
Steigbügel
Hammer
Amboss
Bogengänge
Vorhofsäckchen
Trommelfell
äußerer Gehörgang

Hörnerv
Schnecke
Ohrmuschel ovales Fenster rundes Fenster Ohrtrompete
Außenohr
Innenohr Mittelohr
Schallwellen, die von uns als Geräusche wahrgenommen werden, werden mit der Ohrmuschel des äußeren Ohres aufgenommen. Sie werden dann in den äußeren Gehörgang und weiter zum Trommelfell geleitet. Dieses wird in Schwingungen versetzt. Die 3 Gehörknöchelchen Hammer, Amboss und Steigbügel nehmen im Mittelohr diese Schwingungen auf, verstärken sie und übertragen sie auf eine dünne Membran, das ovale Fenster. Das Runde Fenster dient dem Druckausgleich.
Im Innenohr befindet sich die Schnecke, die wie alle Hohlräume des Innenohrs mit einer Flüssigkeit, der Ohrlymphe, gefüllt ist. Die Schwingungen werden durch das ovale Fenster auf die Ohrlymphe in der Schnecke übertragen, durchlaufen zunächst den Vorhofgang und danach den Paukengang.
Zwischen diesen beiden Gängen liegt der Schneckengang. In diesem sitzt das eigentliche Hörorgan, das Cortische Organ. Dieses besteht beim Menschen aus ca. 15 000 Haarsinneszellen, über denen sich die Deckmembran befindet. Die Schwingungen innerhalb der Ohrlymphe im Schneckengang werden auf die Deckmembran übertragen und regen die feinen Härchen der Haarsinneszellen an. Die so entstehenden Erregungen werden durch den Hörnerv zum Gehirn geleitet, wo sie als akustische Wahrnehmung verarbeitet werden.
Steigbügel
Vorhofgang Deckmembran ovales Fenster

Schneckengang


Paukengang
Cortisches Organ
Schallausbreitung in der Schnecke
ohne Reiz Vorhofgang
Deckmembran

Wissenswertes über unser Ohr Ohrenschmalz … ist eine fettige gelbliche Flüssigkeit, die im äußeren Gehörgang produziert wird und das Trommelfell geschmeidig hält. Feine Härchen transportieren sie gemeinsam mit Staub und abgestorbenen Hautzellen nach außen. Der Gehörgang wird dabei vor Austrocknung und Schmutz geschützt. Ohrtrompete oder Eustachische Röhre … verbindet das Mittelohr mit dem Rachenraum und ermöglicht einen Druckausgleich mit der Umgebung zum Schutz des Trommelfells.
Versuche zu erklären, wie wir Schallquellen mit Hilfe unser beiden Ohren räumlich orten können! Weshalb ist die Ortung von Schallquellen evolutionär vorteilhaft?
Querschnitt durch die Schnecke:

Schneckengang
Paukengang mit Reiz
Haarsinneszellen
Drehe dich mehrmals sehr schnell und bleib dann plötzlich stehen! Was spürst du?
Was ist die Ursache dafür?
Mit dem Gleichgewichtssinn, der sich aus dem Lagesinn und dem Drehsinn zusammensetzt, können wir Bewegungen wahrnehmen und uns im Raum orientieren.
LAGESINN: Die Lagesinnesorgane liegen in den beiden Vorhofsäckchen zwischen den Bogengängen und der Schnecke. Wenn der Kopf aufrecht gehalten wird, drücken Kalkkristalle gleichmäßig von oben auf die Spitze der Sinneshärchen. Diese stecken in einer Gallerthülle. Bewegen wir den Kopf, verlagern sich die Kristalle und die Sinneshärchen bewegen sich. Die Sinneszellen leiten die Erregung zum Gehirn weiter, wo die Lageveränderung wahrgenommen wird.

Bogengang
Ampulle Sinneszellen haarförmige Fortsätze
Gallerthülle
Kalkkristalle
Sinneshärchen
Sinneszellen

Ampulle mit Sinneszellen und Sinneshärchen
Schwerhörigkeit macht einsam! Sprecht in der Klasse über Gründe und Folgen!


Das Ohr wird in das äußere Ohr, das Mittelohr und das Innenohr unterteilt. Im Innenohr ist der Sitz des Hörsinnes und des Gleichgewichtssinnes. Zu diesem gehören der Lagesinn und der Drehsinn. Lärm schadet dem Gehör.



Lagesinnesorgan
DREHSINN: Die 3 Bogengänge bilden das Drehsinnesorgan. An der Basis jedes Bogenganges befindet sich jeweils eine blasenförmige Erweiterung, eine Ampulle. Die Sinneszellen in den Ampullen besitzen haarförmige Fortsätze
Bewegen wir unseren Körper, beginnt die Flüssigkeit in den Bogengängen zu strömen. Dadurch biegen sich die Fortsätze und erregen die Nervenzellen. Diese leiten die Erregung über Nervenfasern an das Gehirn weiter, wo die Bewegung des Körpers wahrgenommen wird. Wird die Bewegung plötzlich gestoppt, strömt die Flüssigkeit aufgrund ihrer Trägheit noch kurz weiter. Die Erregungsinformation an das Gehirn stimmt mit der tatsächlichen Bewegung dann nicht überein. Schwindelgefühl entsteht.
MITTELOHRENTZÜNDUNG: Wenn Bakterien aus dem Nasen-Rachenraum in das Mittelohr eindringen, können sie eine Mittelohrentzündung verursachen. Starke Ohrenschmerzen und hohes Fieber können die Folge sein. Auch das Trommelfell kann geschädigt werden, deshalb immer eine Ärztin/einen Arzt aufsuchen, damit es zu keinem dauerhaften Hörverlust kommen kann. Leidet jemand häufig an Mittelohrentzündungen, kann ein Paukenröhrchen helfen. Dieses wird als „Belüftungsröhrchen“ in das Trommelfell eingesetzt, damit sich im Mittelohr keine Flüssigkeiten ansammeln können.
ALTERSSCHWERHÖRIGKEIT: Da bei älteren Menschen die Elastizität der Membrane des Schneckenganges zurückgeht, nimmt die Übertragung von Schwingungen auf die Sinneszellen ab. Vor allem hohe Töne können nicht mehr deutlich wahrgenommen werden. In diesem Fall helfen spezielle Hörgeräte, welche die Töne verstärken.
SCHWERHÖRIGKEIT: Durch zu starke Schallbelastung wie durch laute Musik oder durch Durchblutungsstörungen im Innenohr kann eine Schwerhörigkeit auch bei jungen Menschen auftreten.

1) Wie breitet sich der Schall im Ohr aus? Bringe die Begriffe in die richtige Reihenfolge, indem du sie nummerierst! Schreibe dann den Weg des Schalls richtig auf die Zeilen darunter! %%

















































2) Immer dieser Lärm – Unsere Ohren haben 24 Stunden am Tag geöffnet. Dieser Text enthält Fakten und Angaben über Lärmquellen. Übertrage diese in die Tabelle! %%%%
Lärm ist nicht messbar, nur Schall ist dies. Er wird in Dezibel (dB) gemessen. Im Lärmbereich A, der sicheren Zone, misst man bei einem raschelnden Blatt 10 dB, bei Tritten auf Teppichböden doppelt so viel und beim Flüstern nochmals 10 dB mehr. Im Lärmbereich B (mögliche Lärmbelästigung) misst man bei einem leisen Gespräch 50 dB, in einem Büroraum mit 50 Personen muss man hingegen schon 20 dB mehr aushalten. An der obersten Grenze dieses Lärmbereichs steht die verkehrsreiche Straße. Der Lärmbereich C beginnt mit 85 dB an der Drehbank und endet mit 111 bei Computerspielen. Dazwischen liegen mit bis zu 100 dB die Stereo-Kopfhörer. Im Lärmbereich D geht man schon von Gesundheitsschäden aus. Hier einige Fakten: Rockkonzert 120 dB, Spielzeuggewehre 155 und Knallkörper 166.
Gesundheitsschäden bei kurzer Einwirkung
Gesundheitsgefahr bei Dauereinwirkung mögliche Lärmbelästigung
Lärmbereich A

3) Worum geht es hier? Formuliere zu jedem Informationstext eine Frage, die als Überschrift dient! %%%%
INFORMATION
Je tiefer eine Haarsinneszelle in der Schnecke liegt, desto tiefere Töne nimmt sie wahr. Da die Schwingungen tiefer Töne weiter in die Schnecke eindringen als die hoher Töne, können wir so unterschiedliche Tonhöhen wahrnehmen.
In der Kriminalistik wird auch der Abdruck der Ohren zur Identifizierung einer Person herangezogen. So kann man aufgrund hinterlassener Ohrabdrücke (Lauschen an Fenstern und Haustüren) Straftäter überführen. Ein Ohrabdruck hat sogar eine ähnlich hohe Beweiskraft wie ein Fingerabdruck, da er am Tatort nicht zufällig entstehen kann.
Eine wichtige Aufgabe der Ohren ist die Lokalisierung von Schallquellen, um damit Richtung und Entfernung zu bestimmen. Ein seitlich einfallender Schall erreicht ein Ohr eher als das andere. Außerdem wird er in dem Ohr, das nicht durch den Kopf abgeschottet wird, als lauter empfunden. Diese Laufzeitdifferenzen werden vom Gehirn ausgewertet und dienen der Orientierung im Raum.
FRAGESTELLUNG
4) Hier siehst du das international verwendete FINGERALPHABET. Mit diesem kann man ein Wort mit Hilfe der Finger buchstabieren. Gehörlose und Schwerhörige benutzen es, um Namen oder Wörter zu buchstabieren, für die es noch keine Gebärdenzeichen gibt.

Versuche, folgende Wörter mit dem Fingeralphabet zu bilden!
ACHTUNG: ä = ae, ö = oe.
Zum Schluss zeige diese deiner Sitznachbarin/ deinem Sitznachbarn und umgekehrt! %%%
Wie viele kannst du oder sie/er erraten?
Der Geruchs- und der Geschmackssinn ermöglichen es uns, Stoffe aus unserer Umwelt wahrzunehmen.
Die Nase – Sitz des Geruchssinns
Wenn du Luft einatmest, gelangen mit dieser Duftmoleküle in den oberen Bereich der Nasenhöhle zum Riechfeld. Dort befinden sich in der Riechschleimhaut Nervenzellen, die Riechsinneszellen. Diese sind für den Geruchssinn zuständig. Sie laufen in sogenannte Riechhärchen aus. Wenn an diesen Riechhärchen Duftmoleküle haften bleiben, werden die Nervenzellen erregt. Nervenfasern leiten diese Erregungen an das Gehirn weiter. Dort werden Gerüche wahrgenommen.

Nasenhöhle
Duftmoleküle: in der Luft gelöste chemische Substanzen

Schleimschicht
Duftmoleküle
Riechorgan
Beim Riechen gibt es 2 unterschiedliche Schwellen:
Wahrnehmungsschwelle
Sobald 10 bis 100 Mio. Duftmoleküle auf die Riechschleimhaut gelangen, riecht man etwas.
Erkennungsschwelle
Es sind etwa 50 x mehr Duftmoleküle als bei der Wahrnehmungsschwelle erforderlich, damit wir den Geruch auch erkennen.
Gerüche werden im Gedächtnis sehr lange gespeichert. Man erkennt sie oft nach vielen Jahren wieder. Sie können auch eine Auswirkung auf die Gefühlslage eines Menschen haben, weil mit ihnen etwas Angenehmes oder Unangenehmes verbunden wird.
Wie gut riecht der Mensch?
Welche Sprichwörter kennst du, die mit Geruch zu tun haben? Überlege, was steckt dahinter!
Nervenfasern
Riechsinneszellen
Riechhärchen
Riechschleimhaut
An welche Gerüche aus deiner Kindheit kannst du dich noch erinnern? Beschreibe sie und erzähle, woran du dabei denkst!


Jeder Mensch besitzt ca. 10 bis 30 Mio. Riechsinneszellen. Allerdings gibt es nur etwa 350 unterschiedliche Geruchsrezeptoren, die jeweils nur auf eine bestimmte Gruppe von Duftmolekülen ansprechen. Die Kombination mehrerer Rezeptoren, die gemeinsam angesprochen werden, macht es möglich, dass wir viele tausend unterschiedliche Gerüche unterscheiden können.
Der Geruchssinn schützt den Menschen bei der Nahrungsaufnahme, beim Trinken und beim Atmen vor schädlichen Stoffen. Er warnt ihn aber auch vor gefährlichen Situationen wie einem Brand.
Viele Tiere haben einen wesentlich besseren Geruchssinn als der Mensch. So besitzt z. B. ein Hund etwa 250 Mio. Geruchszellen. Durch Training kann auch der Mensch seinen Geruchssinn steigern. Sein Gehirn verarbeitet dann Geruchsinformationen besser. Dies ist beim Verkosten von Weinen oder bei der Herstellung von Parfums besonders wichtig.

Rezeptor: Nervenzelle, die Reize aufnimmt
Was ist „umami“?


Kehldeckel
Der Begriff „umami“ ist japanisch und bedeutet „fleischig und herzhaft“. Der Auslöser für diesen Geschmacksreiz ist
Glutamat. Dieses kommt in fast allen eiweißhaltigen Lebensmitteln wie Fleisch und Käse vor.
Geschmackspapillen
Blätterpapillen
Zungenrücken
Glutamat wirkt auch als Geschmacksverstärker.
Wie viel Glutamat enthält dein Lieblingsfertiggericht?
Tipp: Es ist auf der Verpackung angegeben.
In welchen Berufen ist ein besonders guter Geschmackssinn wichtig?
Erörtere mit deiner Sitznachbarin/deinem Sitznachbarn, warum es für Lebewesen von Bedeutung ist, zu schmecken!
Geschmacksknospen




Gaumenbogen (hinterer) Gaumenbogen (vorderer)
Pilzpapillen

Die Sinneszellen des Geruchs- und des Geschmackssinns reagieren auf chemische Substanzen. Die Reize werden an das Gehirn weitergeleitet. Es gibt 5 Geschmacksrichtungen: süß, salzig, bitter, sauer und umami Zungenmandel
Der Geschmackssinn ist eng mit dem Geruchssinn verbunden. Auch die Geschmacksrezeptoren der Zunge reagieren auf jeweils einen bestimmten chemischen Reiz. Der Mensch kann 5 verschiedene Geschmacksrichtungen unterscheiden: süß, salzig, bitter, sauer und umami.
Fadenförmige Papillen
Zunge
Jede Geschmackssinneszelle besitzt Rezeptoren für alle 5 Geschmacksrichtungen.
Wenn du dir deine Zunge im Spiegel anschaust, siehst du, dass sie eine raue Oberfläche hat. Die Erhebungen nennt man Geschmackspapillen. Sie vergrößern die Oberfläche der Zunge um ein Vielfaches und sorgen dafür, dass die einzelnen Geschmacksrichtungen verstärkt wahrgenommen werden.
Geschmackspapillen und Geschmacksknospen
Am vorderen Teil der Zunge liegen pilzförmige Papillen. Diese können nicht nur Geschmack erkennen, sondern enthalten auch Sinneszellen für den Tast- und Temperatursinn. Die Wallpapillen sitzen am hinteren Drittel der Zunge. Sie sind von einem Graben mit vielen Drüsen umgeben, die eine wässrige Flüssigkeit abgeben. Diese spült die Geschmacksstoffe zu den Sinneszellen.


In den Seitenwänden der Geschmackspapillen befinden sich die Geschmacksknospen. Diese sind mit ihren Geschmackssinneszellen die eigentlichen Geschmacksorgane. Die im Speichel gelösten chemischen Stoffe binden sich an die Rezeptoren dieser Sinneszellen und erregen dadurch die nachgeschalteten Nervenzellen. Diese leiten die Erregung über die Nerven ins Gehirn weiter. Dort wird der Geschmack wahrgenommen.
Mit zunehmendem Alter sinkt die Fähigkeit, unterschiedliche Geschmacksrichtungen wahrzunehmen. Ein Baby hat etwa 10 000 Geschmacksknospen, ein Erwachsener aber nur noch 2 000. Luftverschmutzung, virale oder bakterielle Erkrankungen oder Rauchen beeinträchtigen die Leistungskraft des Geschmackssinns zusätzlich.
Geschmackspapille mit Geschmacksknospe

1) Hier haben sich 10 der wichtigsten Begriffe, die man sich im Zusammenhang mit dem Geruchssinn und Geschmackssinn merken sollte, versteckt. Finde diese Wörter! %




2) Fragen stellen! – Suche dir 5 Begriffe von oben aus und überlege dir jeweils eine geeignete Fragestellung dazu! Als Antwort soll immer jeweils nur einer der Begriffe möglich sein. Schreibe die Fragen auf die Zeilen und den Begriff als Antwort ins Kästchen! Nun kannst du sie deiner Nachbarin oder deinem Nachbarn stellen. %%%%











3) Was ist wichtig? Lies diesen Informationstext zuerst aufmerksam durch! Dann markiere Signalwörter im Text und schreibe diese Schlagwörter als Merkhilfen auf den Zettel daneben! Zum Schluss decke den ursprünglichen Text ab und verfasse mit Hilfe deiner gewonnenen Schlagwörter eine kurze Zusammenfassung in deinem Heft! %%%%
Der Geschmackssinn ist nicht nur dazu da, dass wir besonders gut schmeckende Speisen zu uns nehmen. Er hilft uns auch, Nahrung auf ihre Genießbarkeit hin zu überprüfen. Außerdem wird mit dem Schmecken die Produktion der Magensäfte angeregt, da das Gehirn bzw. der Parasympathikus die dafür notwendigen Signale an den Magen sendet. Geschmacks- und Geruchssinn wirken zusammen und ermöglichen erst gemeinsam komplexe Geschmackseindrücke. Dies merkt man dann, wenn man eine verstopfte Nase hat und nur mehr eingeschränkt Geschmackseindrücke wahrnehmen kann. Neben den Geschmacksrichtungen süß, salzig, bitter, sauer und umami wird auch oft scharf als Geschmacksempfindung wahrgenommen. Scharf ist aber genaugenommen ein Schmerzsignal der Nerven bei Speisen, die mit scharfen Gewürzen (z. B. Chili) gewürzt sind.

4) Hier fehlt ja einiges! Beschrifte folgende Abbildung!

Riechsinneszellen
5) Lies diesen Informationstext und finde dann eine passende Überschrift!
Wissenschaftler/innen haben herausgefunden, dass Glutamat selbst einen Geschmack hat. Umami wird das pikante, würzige Aroma in Japan genannt. Man findet es in Fertig- und Tiefkühlgerichten, Packerlsuppen, Gewürzmischungen, Salat- und Würzsoßen. Sogar naturbelassene Lebensmittel enthalten diesen Geschmacksverstärker. Seit knapp 100 Jahren verwendet man Glutamat in der chinesischen Küche. Bei uns kam Glutamat in den 1970er Jahren in Verruf, als das sogenannte „Chinarestaurant-Syndrom“ auftrat. Nach dem Verzehr von chinesischem Essen trat bei Europäern und Amerikanern eine Unverträglichkeit auf Glutamat auf. Sie bekamen Kribbeln oder Taubheit in Nacken, Armen und Rücken sowie ein Schwächegefühl und Herzklopfen. Langzeitstudien belegen aber, dass nur eine hohe Menge zwischen 3 und 6 Gramm auf nüchternem Magen vereinzelt Unverträglichkeitsreaktionen auslösen kann.
Die Haut ist mit ca. 2 m² das größte Organ des Menschen. Sie bedeckt die gesamte Oberfläche unseres Körpers und erfüllt mehrere wichtige Funktionen:
Schutzfunktion
Sinnesfunktion

Ausscheidungsfunktion
Temperaturregulierung
schützt vor Infektionen, Verletzungen, Austrocknung und UV-Strahlung
vermittelt Eindrücke aus der Umwelt, z. B. Temperaturunterschiede, Beschaffenheit von Oberflächen (rau, feucht, heiß usw.), aber auch Schmerzempfindungen
scheidet Salze, Talg und Wasser aus
Hornschicht
Keimschicht
Nervenendigungen
Blutgefäße
Pigmentzellen
Talgdrüse

Sinneszelle
Schweißdrüse
Oberhaut
Lederhaut
Haarwurzel
Haarmuskel
Querschnitt der Haut
Unsere Haut besteht aus 3 Schichten: der Oberhaut, der Lederhaut und der Unterhaut.
OBERHAUT: Diese bildet die äußere Grenzschicht unseres Körpers. Sie besteht aus der Hornschicht und der Keimschicht
Regulieren der Körpertemperatur durch Schwitzen sowie durch das Erweitern und Verengen der Gefäße in der Haut
Die Hornschicht setzt sich aus abgestorbenen Zellen zusammen und wirkt als Schutz gegen Bakterien oder Pilze. Talg und Schweiß aus den Drüsen der Lederhaut halten sie geschmeidig. In der Keimschicht sind Pigmentzellen eingelagert, die bei Sonnenbestrahlung dunkle Farbstoffe bilden. Diese geben sie an andere Hautzellen ab und schützen so vor UV-Strahlung. Die Keimschicht produziert ständig neue Hautzellen. Abgestorbene Zellen wandern in die Hornschicht.
LEDERHAUT: In der darunter liegenden Lederhaut liegen zahlreiche Talgdrüsen, die Talg absondern und die Haut geschmeidig halten. Die Schweißdrüsen der Lederhaut geben den Schweiß an die Hautoberfläche ab. Schweiß besteht zum Großteil aus Wasser und Kochsalz. Beim Verdunsten sorgt das Wasser für die Kühlung des Körpers. Mit ihm werden aber auch Abfallstoffe wie Harnstoffe ausgeschieden. Schweiß bildet den Säureschutzmantel der Haut.
Erfühle unterschiedliche Gegenstände mit verbundenen Augen! Welche Eigenschaften kannst du mit deinem Tastsinn wahrnehmen?
Unterhaut

Nimm 3 Gefäße! Fülle eines mit kaltem, eines mit lauwarmem und eines mit heißem Wasser! Dann verbinde einer Freundin/einem Freund die Augen! Lass sie/ihn nun ein paar Minuten eine Hand ins kalte und die andere Hand ins heiße Wasser halten! Anschließend soll sie/er beide Hände ins lauwarme Wasser tauchen. Was passiert? Findet gemeinsam eine Begründung!
An den Lippen und im Mundbereich gibt es auffallend viele Kälte- bzw. Wärmerezeptoren in der Haut. Überlege, warum dies so ist!
Recherchiere zu gesunder Hautpflege! Schreib einen Merktext! Überlege zu deinen Quellen: geht es rein um Information? Vergleicht in der Klasse!


Wie empfinden wir Schmerzen?
Schmerzrezeptoren sind freie Nervenendigungen, die in der Haut, aber auch in anderen Geweben vorkommen. Verletzt man sich, werden körpereigene Substanzen wie Histamin oder Serotonin freigesetzt, welche die Nervenendigungen erregen. Diese Schmerzimpulse werden über Schmerzbahnen, die im Rückenmark verlaufen, in Richtung Hirnstamm weitergeleitet.

Scheinbare Vergrößerung durch Aufrichten des Fells


Blutgefäße in der Lederhaut versorgen die Haut mit Nährstoffen und Sauerstoff. Haare, Finger- und Zehennägel werden in der Lederhaut gebildet.
Auch die meisten Sinneseindrücke, die uns die Haut vermittelt, entstehen in dieser Schicht: So liegen in ihr mehrzellige Rezeptoren für den Tastsinn, die sich durch ihre Form, ihre Lage und ihre Empfindlichkeit unterscheiden. Kälte und Wärme werden hingegen durch freie Nervenendigungen wahrgenommen. Es gibt ca. 10-mal mehr Rezeptoren für Kälte als für Wärme.
Die Haut hat mehrere Funktionen: Schutz-, Sinnes- und Ausscheidungsfunktion sowie Temperaturregelung. Sie besteht aus 3 Schichten: der Oberhaut, der Lederhaut und der Unterhaut


UNTERHAUT: Diese bildet die unterste Schicht und besteht hauptsächlich aus Fettgeweben, einem schwammartigen Bindegewebe und Blutgefäßen, die als Energiespeicher und als Schutz vor Kälte und Stößen dienen. Die Unterhaut stellt eine lockere Verbindung mit Muskeln und Sehnen her.






Akne auf der Stirn Sonnenbrand Fieberblase
AKNE: Viele Pubertierende leiden unter dieser Erkrankung. Dabei verengen und verschließen sich die Ausfuhrgänge der Talgdrüsen, sodass der Talg nicht an die Hautoberfläche abgegeben werden kann. Die Ausfuhrgänge entzünden sich und beginnen zu eitern. Akne kann unterschiedliche Ursachen wie Entzündungen durch Bakterien, Hormoneinwirkung, Stress usw. haben. Bei Akne sollte ärztliche Hilfe eingeholt werden.
SONNENBRAND: Setzt man die Haut zu lange einer zu intensiven Sonneneinstrahlung aus, kann sie stark geschädigt werden. Sie rötet sich und wird extrem berührungsempfindlich. Blasen bilden sich und die Haut löst sich ab. Spätfolgen wie Hautkrebs sind möglich. Als Schutz sollte man Sonnencremen mit hohem Lichtschutzfaktor verwenden.
FIEBERBLASEN: Diese entstehen durch eine Virusinfektion. Es bilden sich kleine Bläschen im Lippenbereich, die nach einigen Tagen aufplatzen oder sich wieder rückbilden. Sie sind zwar harmlos, aber unangenehm. Bis heute gibt es kein Mittel dagegen. Salben oder Tinkturen können lediglich die Symptome lindern.
Gebilde aus Horn
Haare bestehen aus verhornten Zellen und wachsen täglich ca. 0,4 mm. An den Haarwurzeln sitzen Muskeln, die sich manchmal bei Gefühlen wie Zorn oder Angst zusammenziehen und damit das Haar aufrichten. Bei Tieren mit Fell entwickelte sich dieses Verhalten, um im Falle einer Bedrohung durch Feinde durch „Aufplustern“ größer zu wirken (Imponier- und Drohfunktion). Auch bei Kälte kommt es zu einem Zusammenziehen des Haarmuskels. Dabei wird die Haarwurzel etwas nach oben gedrückt, wir spüren das als „Gänsehaut“.
Finger- und Zehennägel bestehen ebenfalls aus Horn und bieten Schutz vor Druck und Stoß. Sie wachsen ca. 1 mm pro Woche.

Nun geht‘s los – Aufgaben für schlaue
1) Wortschneckenrätsel – In dieser Schnecke sind 9 wichtige Begriffe zum Thema Haut enthalten. Suche sie heraus und schreibe sie jeweils zur passenden Worterklärung! %%
Sie stellen die Haare auf.
In ihr ist Fettgewebe eingelagert.
Sie reagieren z. B. auf Druck.
Sie ist die mittlere der drei Hautschichten.
Diese Drüsen sorgen für Abkühlung und für das Ausscheiden von Abfallstoffen.
Sie besteht aus Horn- und Keimschicht.
Sie sorgen für geschmeidige Haut.
Bei vermehrter Sonneneinstrahlung bilden sie dunkle Farbstoffe.
Sie versorgen die Haut mit Sauerstoff und Nährstoffen.

2) Weißt du noch? – Erinnere dich an die 4 Funktionen der Haut! Welcher dieser Begriffe passt zu welcher Funktion? Male die Rahmen der Kästchen laut Angabe an! %%%
Überhitzung

Schutzfunktion

Sinnesfunktion

Ausscheidungsfunktion

Temperaturregelung

3) TATTOOS – Ornamente auf der Haut: Lies diesen Text über Tattoos aufmerksam durch! %
Bei einer Tätowierung (Tattoo) handelt es sich um ein Zeichen, das mit Tinte oder anderen Farbmitteln in die Haut eingeritzt wird. Dabei wird mit einer Nadel in die Lederhaut gestochen und die Farbe eingebracht. Da sich in der Lederhaut Blutgefäße befinden, müssen beim Tätowieren strenge Hygienevorschriften eingehalten werden, um eine HIV-, Hepatitis- oder andere Infektion zu vermeiden.
Gänzlich unbedenklich sind Tattoos nicht, da man herausgefunden hat, dass Teile der verwendeten Farbstoffe in andere Bereiche des Körpers transportiert werden können. Problematisch wird es besonders dann, wenn die Farben Schwermetalle oder auch krebserregende Substanzen enthalten. Inzwischen gibt es sogar in Österreich eine eigene Tätowiermittelverordnung, die die Gefahren der Farbmittel im Körper bannen soll.
Eine Tätowierung ist sehr schwer zu entfernen, weil die Farbpigmente von körpereigenen Zellen eingekapselt werden. Die Farbpigmente können dann nicht mehr abgebaut werden und die Tätowierung bleibt erhalten. Will man eine Tätowierung trotzdem entfernen lassen, gibt es mehrere Möglichkeiten: Laserbehandlung, flüssige Tattoo-Entferner, Cremes oder den Einsatz von Mikrowellen. Der Erfolg ist jedoch mäßig. Braucht es bei Laseroder Mikrowellenbehandlungen mehrere Sitzungen, bleibt der Erfolg beim Einsatz von Flüssigkeiten oder Cremes beinahe gänzlich aus.
Gründe, warum sich Menschen tätowieren lassen, gibt es viele: Die meisten Tätowierten sehen ihre Tätowierung als Schmuckstück oder sogar als Kunstwerk. Für manche Personen ist es wiederum eine Möglichkeit, in einer Massengesellschaft individuell zu bleiben, während andere damit ihre Zugehörigkeit zu einer bestimmten Gruppe zeigen wollen. Andere wiederum sehen eine Tätowierung auch als Mutprobe, während einige sogar den Schmerz beim Tätowieren genießen.
4) Beantworte anschließend die Fragen in deinem Heft %%
1. Wie könntest du jemandem erklären, was man unter einem Tattoo versteht?
2. Warum ist es möglich, dass man sich beim Tätowieren Virusinfektionen zuziehen kann?
3. Worin bestehen die Probleme der Tattoo-Farben?
4. Warum ist es sehr schwer, eine Tätowierung zu entfernen?
5. Welche Möglichkeiten gibt es und wie steht es um deren Erfolg?
6. Warum lassen sich Menschen tätowieren?


5) Würdest du ein Tattoo haben wollen? – Besprecht in Kleingruppen, wie ihr dazu steht! %%%%
6) Achte auf deine Haut! Versuche zuerst, diese Tipps zu lesen! Kreuze dann an, welche du schon befolgst! %%
Kalt–warme Wechselduschen sorgen aufgrund der kalten und warmen Reize für eine gute Durchblutung der Haut. Genügend Schlaf ermöglicht Zellerneuerung und Geweberegeneration Bewegung an der frischen Luft tut der Haut gut , weil dadurch der Stoffwechsel gefo¨rdert wird. Täglich die Haut mit Wasser und ph-neutralen Seifen pflegen, um Verunreinigungen von außen vorzubeugen. Frisches Obst und Gemüse unterstützen die Haut , weil sie mit wichtigen Stoffen versorgt wird Scharfe Gewürze, fette Speisen, Kochsalz, Süßigkeiten und Alkohol belasten die Haut. Meide lange Sonnenbäder, vor allem in der Mittagszeit! Sonnencremen verwenden, weil sie die UV-Strahlen filtern.

Für die Steuerung und Regulierung vieler lebenswichtiger Vorgänge in unserem Körper sind das Nervensystem und das Hormonsystem zuständig. In Hormondrüsen oder in bestimmten Gewebezellen werden verschiedene Botenstoffe oder Hormone erzeugt. Diese werden vom Blut zu den Organen transportiert, wo sie die entsprechenden Wirkungen hervorrufen.
Hormondrüsen

Hormondrüse: Botenstoffe erzeugende Körperdrüse

Die Hirnanhangdrüse (Hypophyse) kontrolliert das Hormonsystem, steuert alle Hormondrüsen und reguliert grundlegende Funktionen des Körpers.
Die Zirbeldrüse (Epiphyse) reguliert unseren Tag-Nacht-Rhythmus.

Schilddrüsenhormone beeinflussen nahezu alle Organe des Körpers.

Das Hormon der Nebenschilddrüsenkörperchen regelt den Calcium-Haushalt des Körpers. Calcium ist für die Tätigkeit unserer Nerven und Muskeln wichtig.

Die Hormone der Thymusdrüse sind im Körper von Jugendlichen für Wachstum und Entwicklung zuständig.

Hormondrüsen des Menschen

Die Keimdrüsen (weiblicher Körper: Eierstöcke; männlicher Körper: Hoden) steuern die Fortpflanzung.
Die Bauchspeicheldrüse (Pankreas) erzeugt in den Langerhans-Inseln Hormone, die den Blutzuckerspiegel regulieren

Die Nebennieren steuern Stoffwechselvorgänge verschiedener Organe und haben wichtige Aufgaben bei der Stressbewältigung.

Die Zuckerkrankheit, auch Diabetes genannt, ist eine bekannte häufige Hormonstörung. Mit unserer Nahrung nehmen wir Kohlenhydrate zu uns. Unser Körper zerlegt diese zu Traubenzucker (Glucose), der wichtigsten Energiequelle für unsere Zellen.
Nach einer Mahlzeit gelangt Traubenzucker aus dem Dünndarm ins Blut, wodurch der Blutzuckerspiegel ansteigt. Das von den sogenannten β-Zellen der Bauchspeicheldrüse produzierte Hormon Insulin bewirkt, dass die Zellen den Zucker aufnehmen bzw. vor allem in Leber und Muskeln als Glykogen speichern können. Wenn der Körper z. B. bei Bewegung Energie benötigt, bewirkt das Hormon Glucagon, welches in den α-Zellen der Bauchspeicheldrüse gebildet wird, dass Glykogen wieder zu Traubenzucker zerlegt wird und als Energielieferant zur Verfügung steht.


Beim Stillen eines Säuglings und beim Erschrecken sind Hormone maßgeblich beteiligt.
Langerhans-Inseln: Ansammlung von hormonbildenden Zellen (β-Zellen und α-Zellen) in der Bauchspeicheldrüse; ein Erwachsener hat ca. 1 Mio. solcher „Inseln“ in seiner Bauchspeicheldrüse.

Langerhans-Insel (stark vergrößert und unter speziellen Lichtverhältnissen betrachtet)
Diabetes: eigentlich Diabetes mellitus; eine Stoffwechselerkrankung, bei der der Blutzuckerspiegel dauerhaft erhöht ist
Bei Menschen, die an Diabetes leiden, ist entweder ein Insulinmangel feststellbar oder ihre Zellen können das Insulin nicht richtig ausnützen. Folgen der Krankheit sind unter anderem geschädigte Blutgefäße, Sehstörungen und Herzinfarkte.
Glykogen: ein im Körper gespeicherter Mehrfachzucker, der bei Energiebedarf zu Glucose aufgespaltet wird
geschlechtsreif: fortpflanzungsfähig durch die Produktion reifer Geschlechtszellen
Was sind Östrogene?


Dies sind weibliche Geschlechtshormone, die für die Reifung der Eizellen zuständig sind. Sie wirken auch auf Knochen, Gehirn, Gehör usw. Sogar im männlichen Körper sind Östrogene wichtig, allerdings in viel geringerem Umfang als im weiblichen. Was ist Testosteron?
Das ist ein Hormon mit zahlreichen Wirkungen. Es ist unter anderem für die Vermännlichung des Körpers zuständig. Im weiblichen Körper kommt es auch vor, doch in kleineren Mengen als im männlichen.



Hormone steuern die Pubertät
Auch die Entwicklung eines Menschen vom Kind zum geschlechtsreifen Erwachsenen ist hormonell gesteuert. Diese Veränderungen führen dazu, dass im Körper des betreffenden Menschen, je nach Geschlecht, reife Eizellen bzw. Samenzellen gebildet werden.
Die Pubertät beginnt im Kopf
Zu Beginn der Pubertät wird von der Hirnanhangdrüse ein hormonelles Signal ausgesendet. Dadurch werden im Körper mehr Geschlechtshormone produziert. Bei Mädchen handelt es sich vor allem um Östrogene, bei Burschen um Testosteron. Diese Hormone bewirken die Entwicklungen im Körper der jungen Menschen, wobei es in Bezug auf den Zeitpunkt, wann die Veränderungen stattfinden, große individuelle Unterschiede gibt.

Längenwachstum
Schambehaarung
Achselbehaarung
Wachstum Scheide, Gebärmutter
Wachstum Hoden, Penis
1. Monatsblutung
1. Samenerguss
Durchschnittliche Zeitspannen der Veränderungen während der Pubertät vom Mädchen zur Frau vom Knaben zum Mann

Hormone sind für die Vorgänge im menschlichen Körper lebenswichtig. Sie werden als Botenstoffe bezeichnet. Ihr Transport erfolgt durch das Blut. Die Hirnanhangdrüse (Hypophyse) steuert das Hormonsystem. Kleinste Veränderungen der Menge an Hormonen haben Auswirkungen auf den Körper
Brustwachstum
Stimmbruch



beginnender Bartwuchs

Im Verlauf der pubertären Entwicklung finden also viele Entwicklungsschritte statt. Der wichtigste ist, dass der Mensch fähig wird, Fortpflanzungszellen zu bilden, durch die er sich fortpflanzen kann.
Die Pubertät hängt von vielen unterschiedlichen Faktoren ab. Aber ein Trend ist allgemein zu beobachten: Sie beginnt immer früher und der zeitliche Unterschied zwischen Mädchen und Burschen wird kleiner. Es wird vermutet, dass unsere Ernährung und der allgemein bessere Gesundheitszustand damit zusammenhängen. Alle Ursachen sind aber noch nicht geklärt.

1) Wo werden Hormone gebildet? – Wähle aus den Begriffen unter der Abbildung die korrekten Bezeichnungen aus und schreibe sie auf die Linie an der richtigen Stelle! %%




















Epiphyse © Schilddrüse © Entwicklung © Bauchspeicheldrüse © Eierstöcke © Tag-NachtRhythmus © Blutzucker © Stress © Hoden © Nebennieren © Fortpflanzung © Wachstum © Thymusdrüse © Nebenschilddrüsen © Steuerung der Hormondrüsen © Hypophyse © Beeinflussung vieler Organe des Körpers
2) Jene Wörter im Kästchen, die du zur Beschriftung in Übung 1) nicht gebraucht hast, beschreiben die Wirkung bzw. die Aufgabe von Hormonen. Erkläre deiner Sitznachbarin/deinem Sitznachbarn, wie diese mit den Hormondrüsen zusammenhängen! %%%

3) Um welche Informationen geht es hier? Schreibe die richtigen Namen der Hormondrüsen auf die freien Zeilen! %%
Sie reguliert unseren Tag-Nacht-Rhythmus.
Sie steuern die Fortpflanzung.
Sie erzeugt Hormone, die den Blutzucker regulieren.

Sie kontrolliert das Hormonsystem, steuert alle Hormondrüsen und reguliert grundlegende Funktionen des Körpers.
Im Körper von Jugendlichen sind ihre Hormone für Wachstum und Entwicklung zuständig.
Sie regelt den Calcium-Haushalt des Körpers.
Sie steuern die Stoffwechselvorgänge verschiedener Organe und haben wichtige Aufgaben bei der Stressbewältigung.

4) Was geschieht in der Pubertät bei Mädchen (w) und was bei Burschen (m)? Kreise richtig ein! %%
Die erste Monatsblutung setzt ein.
Die Behaarung rund um die Geschlechtsorgane entwickelt sich.
Die Scheide wächst und die Gebärmutter erreicht ihre endgültige Größe. Die Stimme wird tiefer. Bis sie ihre endgültige Stimmlage erreicht hat, kommt es häufig zu „Ausrutschern“.
Der Körper wächst, die Länge von Armen und Beinen nimmt aber stärker zu als die des Rumpfes.
Der erste Samenerguss tritt auf.
Penis und Hoden wachsen.
In den Achselhöhlen wachsen Haare.
Im Gesicht sprießen die ersten Haare.
Die Brust wächst.
m
2 Muskelarbeit ist wichtig für den Temperaturhaushalt des Körpers. Mehr als die Hälfte der eingesetzten Energie der Muskelarbeit wird als „Abwärme“ frei.
2 Ein Gewicht (auch nur ein Buch) mit ausgestreckten Armen zu halten, ist deswegen so anstrengend, weil die Gefäße aufgrund der Muskelanspannung abgedrückt werden. Deshalb funktioniert die Nährstoff- und Sauerstoffzufuhr nicht mehr ausreichend und die benötigten Muskeln werden schneller müde.
2 Bedenke: Wenn wir lachen, werden dazu 15 verschiedene Muskeln benötigt. Um ein finsteres Gesicht zu machen, setzen wir sogar 43 verschieden Muskeln ein!
Das Auge eines gesunden Menschen ist im Gegensatz zu dem von Menschenaffen fernsichtig. Daraus lässt sich schließen, dass scharfes Sehen von entfernten Gegenständen, wie Feinde oder Nahrung, im Lauf der Entwicklung des Menschen wichtiger war als das Nahesehen.






Bis zum Anfang des 20. Jh. waren Blutgruppen noch unbekannt. Wurde Menschen Blut übertragen, überlebte das nur etwa die Hälfte der Patientinnen und Patienten. Bei den anderen waren schwere gesundheitliche Schäden oder der Tod die Folge. Man erkannte, dass ihre Blutkörperchen verklumpten und so die feinen Blutgefäße verstopft wurden. 1901 unternahm der österreichische Mediziner Karl Landsteiner ein Experiment an sich selbst und an fünf seiner Mitarbeiter. Landsteiner konnte dieses Rätsel lösen – er entdeckte die 4 Blutgruppen. Für seine Entdeckung erhielt er 1930 den Nobelpreis für Medizin.
In Österreich leben etwa 65 000 Personen, die süchtig nach Glücksspiel und Sportwetten sind. Im Durchschnitt hat eine Spielsüchtige oder ein Spielsüchtiger in Österreich Schulden von 50 000 ¤. Man glaubt es kaum, aber der „Rausch“ beim Spielen dürfte die Wahrnehmung ähnlich beeinträchtigen wie die Einnahme von Alkohol oder anderen Drogen. Dies zeigt folgender Vorfall: Bei einem bewaffneten Überfall auf eine Spielhalle bemerkten die anwesenden Spielerinnen und Spieler nicht, dass die Spielhalle überfallen wurde. Nur eine Spielerin blickte kurz auf und spielte seelenruhig weiter. Lediglich ein Angestellter der Spielhalle reagierte und schlug die Täter in die Flucht.

Abhängig oder co-abhängig?
Unterstützt man einen Menschen mit einem Suchtproblem, hilft dies dem Betroffenen häufig wenig. So muss er nämlich die Folgen seiner Sucht nicht selbst tragen und sieht keine Veranlassung, sein Verhalten zu ändern. Das Suchtverhalten wird gerade durch die


Fürsorge von Freunden oder Familienangehörigen eher noch verstärkt und gefestigt. Interessant ist dabei, dass man oft nicht mehr aufhören kann, zu helfen. So gerät die Helferin oder der Helfer selbst in eine Form der Abhängigkeit, die sogenannten Co-Abhängigkeit.
In Finnland haben Forscherinnen und Forscher herausgefunden, dass Babys, die mit Haustieren wie Hunden oder Katzen lebten, weniger oft an Atemwegsinfektionen erkrankten. Untersucht wurden etwa 400 finnische Babys im Alter zwischen 2 Monaten und dem ersten Geburtstag. Jene Babys, die mit einem Hund oder einer Katze aufwuchsen, zeigten ein 30 %-ig geringeres Risiko an einer Atemwegsinfektion zu erkranken. Mittelohrentzündungen oder andere Ohreninfektionen traten um 50 % weniger häufig auf. Bis jetzt gibt es noch keine Erklärung dafür. Aber alles deutet darauf hin, dass Haustiere im ersten Lebensjahr das Immunsystem stärken.
Surstro¨mming – Schwedisches Nationalgericht | Gegorener Hering, der monatelang in einer Salzlake vergärt, bevor er als Delikatesse verspeist wird
Gero¨stete Ameisen Spezialität aus dem Kongo | Rote Ameisen, die Ihre Immunabwehr stärken
Casu Marzu Ziegenkäse aus Sardinien | Lang gereifter Käse, der seine schmierige Konsistenz und seinen beißenden Geruch durch die Maden aus den abgelegten Eiern der Käsefliege bekommt
Kaest Skata – Isländisches Nationalgericht | Verwester Rochen, der mit Schafsfett verrührt und am 23. Dezember verspeist wird; stinkt zwar fürchterlich, doch durch die Verwesung ist er nicht giftig
Weitere Spezialitäten: malaysische Stinkfrucht chinesische Hundertja¨hrige Eier Knusprige Heuschrecken aus Mexiko

Kuriose Speisen aus aller Welt!


Richard Walker: Faszination Mensch. Eine Reise durch den menschlichen Körper. Dorling Kindersley Verlag, München, 2001.
Bleich Kirsten u. Stefan: WAS IST WAS, Band 50. Der menschliche Körper. Tessloff Verlag, 2008. Contmedia (Hg): International Knowledge – Gesund Leben. Im Einklang mit dem Körper. Contmedia Verlag, 2009.


Wie setzt sich das Knochengewebe zusammen?
52 % Salze
21 % Wasser

27 % organische Substanzen





Haut-Fakten
Je nach Körpergröße macht die Haut eines Menschen etwa 1,5 bis 2 m2 aus und wiegt bis zu 10 kg. Auch die Darmzotten hätten ausgebreitet die Größe eines Tennisplatzes.

• Das Knacksen in den Fingergelenken, das man hört, wenn man an den Fingern zieht, stammt von zerplatzenden Gasblasen in der Gelenksschmiere. Dies kann die Gelenke auf lange Sicht schädigen.
• Der Mensch hat über 650 Skelettmuskeln. Würden alle gleichzeitig in die gleiche Richtung ziehen, könnte ein Mensch 25 Tonnen bewegen.
• Mit Gerüchen, aber auch mit Musik, kann man sich Wahrnehmungen aus der frühesten Kindheit ins Gedächtnis rufen.
• Etwa 4 % des menschlichen Körpers bestehen aus Mineralstoffen. Ca. 1,7 % des Körpergewichts macht Calcium aus. 99 % davon befinden sich in den Zähnen und Knochen.
• Das Atemvolumen pro Minute kann sich bei schwerer körperlicher Aktivität im Vergleich zum Ruhezustand mehr als verzehnfachen.
Beim Menschen unterscheiden wir primäre und sekundäre Geschlechtsmerkmale. Die primären Geschlechtsmerkmale sind bereits bei der Gebur t vorhanden. Die sekundären Geschlechtsmerkmale entwickeln sich in der Zeit der Pubertät.
Weibliche Geschlechtsorgane
PRIMÄRE WEIBLICHE GESCHLECHTSMERKMALE: Diese liegen zum Großteil im Inneren des Körpers. Die Eierstöcke und Eileiter sowie die Gebärmutter und die Vagina sind dort gut geschützt. Lediglich die Scheiden- oder Vulvalippen (veraltet Schamlippen), die Klitoris und der Venushügel sind äußerlich sichtbar und werden gesamt als Vulva bezeichnet.
Gebärmutterhals
Eierstöcke
Eileiter
Gebärmutter

Dickdarm Anus
äußere Vulvalippen Klitoris Blase
Harnleiter
Scheide innere Vulvalippen
Weibliche innere und äußere Geschlechtsorgane
Gebärmutter Eierstock

Gebärmutterhals
Muttermund Klitoris
Eileiter
Venushügel
Scheide
äußere und innere Vulvalippen
Die äußeren und inneren Vulvalippen schützen den Scheideneingang und den Eingang zur Harnröhre. Zwischen ihnen liegt die Klitoris. Diese ist ein sehr berührungsempfindliches Organ, in dem sehr viele Nervenzellen enden. Wird die Klitoris vorsichtig berührt, kann es zu sexueller Erregung kommen.
Die Scheide ist ein Muskelschlauch, der zur Gebärmutter führt. Am Eingang der Scheide befindet sich ein dehnbares Hymen. Es hat eine natürliche Öffnung, durch die Scheidenflüssigkeit und Menstruationsblut abfließen können.
Die Gebärmutter ist ein etwa faustgroßer mit Schleimhaut bedeckter Hohlmuskel. In ihr kann sich eine befruchtete Eizelle einnisten. Der Gebärmutterhals wird durch den Muttermund zur Scheide hin abgeschlossen.
In den Ovarien reifen die Eizellen. Im Abstand von einem Monat wird abwechselnd von jedem Eierstock eine Eizelle freigegeben. Diese wird vom Fransentrichter aufgefangen und durch den Eileiter zur Gebärmutter geführt. In den Ovarien entstehen auch die weiblichen Geschlechtshormone.
SEKUNDÄRE WEIBLICHE GESCHLECHTSMERKMALE: Diese bilden sich während der Pubertät aus: So wird die Brust größer, am Venushügel wächst Schambehaarung und die Achselbehaarung bildet sich aus. Gleichzeitig verändert sich auch der Körperbau. Die meisten Frauen haben schmale Schultern und breitere Hüften als Männer.

Weiblicher Körper
Vagina: Scheide
Klitoris: Kitzler
Überlege: Warum liegen die weiblichen Geschlechtsorgane zum Großteil im Körper? Weshalb ist der Begriff Schamlippen problematisch?
Ovarien: Eierstöcke
Hymen: auch Jungfernhäutchen genannt; dünne Hautfalte um die Vagina


Wann entstehen die Eizellen?
Bereits bei der Geburt eines Mädchens sind im Eierstock ca. 200 000 Eizellen angelegt. Eine reife Eizelle hat einen Durchmesser von 0,1 mm.

Fransentrichter
Zyklus: in einem gewissen Zeitraum immer
wiederkehrendes Ereignis

Hirnanhangdrüse
Follikel: Eibläschen
Eisprung: Der Follikel platzt, die Eizelle verlässt den Eierstock und wird vom Fransentrichter aufgenommen.


Was sind die „fruchtbaren Tage“?
Die zwei Phasen des weiblichen Zyklus
Der Zyklus einer Frau besteht aus zwei Phasen, die durch Hormone beeinflusst werden.
1. PHASE (Beginn mit 1. Tag der Regelblutung): Das Hormon FSH, das in der Hirnanhangdrüse gebildet wird, ruft im Eierstock die Reifung eines Follikels hervor. Der Eierstock erzeugt Östrogene – ebenfalls Hormone – die auf die Gebärmutter einwirken. Dadurch wird die Gebärmutterschleimhaut dicker und besser durchblutet.
In dieser verdickten Schleimhaut kann sich später eine befruchtete Eizelle festsetzen. Am Ende des ersten Abschnittes, nach etwa 14 Tagen, produziert die Hirnanhangdrüse ein anderes Hormon: LH. Durch dieses Hormon wird der Eisprung ausgelöst. Ab diesem Zeitpunkt bleibt die Eizelle höchstens 24 Stunden befruchtungsfähig.
2. PHASE (um den 14. Tag): Die zweite Phase des Zyklus dauert ebenfalls etwa 14 Tage. Die Eizelle wird durch Flimmerhärchen im Eileiter zur Gebärmutter transportiert.
Zu Beginn dieser Phase (ca. 24 Stunden lang) kann die Eizelle befruchtet werden. Das bedeutet: Wenn eine Frau zu diesem Zeitpunkt ungeschützten Geschlechtsverkehr hat, ist es möglich, dass sie schwanger wird. Der im Eierstock zurückgebliebene Follikel wird zum Gelbkörper, der das Progesteron bildet. Dieses Hormon bereitet die Gebärmutterschleimhaut auf das Einnisten einer befruchteten Eizelle vor.
Bleibt die Eizelle unbefruchtet, so nimmt die Menge an Progesteron im Blut danach ab.
Spermien sind maximal 5 Tage, Eizellen maximal 1 Tag befruchtungsfähig. Bei Geschlechtsverkehr 5 Tage vor bis 1 Tag nach dem Eisprung kann es daher zu einer Befruchtung kommen. Tag


Wie lange dauert ein Zyklus?
Die Zykluslänge ist nicht bei allen Frauen gleich lang. Sie liegt zwischen 20 und 35 Tagen. Im Durchschnitt dauert ein Zyklus aber 28 Tage.

Eizelle in den Falten des Eileiters, auf dem Weg in die Gebärmutter
Am Ende der zweiten Phase beginnt die Menstruation. ACHTUNG: Dieser Tag ist gleichzeitig der erste Tag des nächsten Zyklus. Während der Regelblutung, die zwischen drei und acht Tage dauern kann, werden Blut und die sich ablösende Gebärmutterschleimhaut ausgeschwemmt.
Eisprung

Hormonmenge im Blut
LH FSH Östrogen Progesteron
LH (luteinisierendes = gelbfärbendes Hormon): bewirkt den Eisprung und die Umwandlung der Hülle des Follikels in den Gelbkörper
FSH (Follikel stimulierendes Hormon): bewirkt die Reifung des Follikels
Östrogen: bewirkt Verdickung der Gebärmutterschleimhaut
Progesteron (Gelbkörperhormon): bereitet die Gebärmutterschleimhaut auf die Einnistung der Eizelle vor
Gebärmutterschleimhaut
Weiblicher Zyklus
Männliche Geschlechtsorgane
Spermien sind die männlichen Geschlechtszellen. Sie brauchen zum Reifen eine kühle Umgebung. Daher liegen die primären männlichen Geschlechtsorgane – im Gegensatz zu denen der Frau – außerhalb des Körpers, wo es kühler ist.
PRIMÄRE MÄNNLICHE GESCHLECHTSMERKMALE: Darunter versteht man Hoden, Hodensack, Penis (=Glied), Vorhaut und Eichel.
Die Hoden sind die männlichen Geschlechtsdrüsen. In den Drüsenzellen der Hoden entsteht das männliche Geschlechtshormon Testosteron. Die Hormone FSH und LH regen die Produktion und Reifung der Spermien an. Diese werden in feinen Hodenkanälen gebildet und gelangen dann in die Nebenhoden, wo sie gelagert werden. Bei sexueller Erregung wird Blut in die Schwellkörper des Penis gepumpt. Dadurch richtet er sich auf und wird steif. So kann er beim Geschlechtsverkehr in die Scheide der Frau eingeführt werden. Das Steifwerden des Penis nennt man Erektion.
Spermien: männliche Fortpflanzungszellen
Bläschendrüse
Prostata
Samenleiter
Nebenhoden
Hoden
Männliche Geschlechtsorgane
Harnblase
Penis

Schwellkörper
Harnsamenröhre
Vorhaut
Eichel
Durch Reizung des Penis, vor allem der besonders empfindlichen Eichel, kommt es zum Orgasmus. Dabei werden die Spermien von den Nebenhoden durch die Samenleiter in die Harnsamenröhre befördert. Aus der Bläschendrüse und der Prostata wird eine Flüssigkeit ausgeschieden, sodass die Spermien in diesem Sekret schwimmen können. Schließlich wird die Samenflüssigkeit aus dem Penis ausgestoßen. Während der Ejakulation verschließt die Vorsteherdrüse den Zugang zum oberen Teil der Harnröhre, sodass zur gleichen Zeit kein Harn abgegeben werden kann.
Der erste Samenerguss erfolgt meist im Schlaf im Alter zwischen 11 und 16 Jahren. Genau wie Mädchen den Zeitpunkt der ersten Regelblutung nicht beeinflussen können, kann auch der erste Samenerguss nicht beeinflusst werden.
SEKUNDÄRE MÄNNLICHE GESCHLECHTSMERKMALE: Die sekundären Geschlechtsmerkmale des Mannes, die sich während der Pubertät ausbilden, sind die Behaarung im Schambereich, unter den Achseln sowie auf der Brust. Auch der Bartwuchs zählt zu den sekundären Geschlechtsmerkmalen. Der Körper von Burschen verändert sich während dieser Zeit ebenfalls. Die Schultern werden breiter als die Hüften und die Muskulatur an Armen und Beinen nimmt zu.

Männlicher Körper

Männliche äußere Geschlechtsorgane
Prostata: Vorsteherdrüse
Ejakulation: Samenerguss

Wie viele Spermien produziert ein Mann? In den Hoden reifen täglich bis zu 200 Mio. Spermien. Eine Samenzelle ist ca. 0,05 mm lang.


Spermien
Für alle gilt:
Tägliches Waschen mit reinem Wasser und milder Seife genügt!
„Gepflegte Menschen werden von anderen gerne gerochen“!
Smegma: Ablagerungen, die aus dem Talg der Vorhautdrüse, zerfallenem Zellgewebe, Spermaresten, Urinrückständen und Bakterien bestehen; auch bei Frauen vorhanden
Anus: After




Körperpflege ist für jeden immer wichtig!

Für die meisten von uns ist tägliches Waschen und Wechseln der Unterwäsche selbstverständlich. Intimpflege ist ein wichtiger Beitrag, um Körpergeruch zu vermeiden und Krankheitserreger im Genitalbereich zu verringern.
Intimpflege bei Burschen
2 Füße und Achselhöhlen werden zusätzlich mit Seife oder Duschgel gereinigt.
2 Der Intimbereich muss speziell gereinigt werden. Die Vorhaut des Penis wird vorsichtig zurückgezogen. Das Smegma kann dann mit einer milden Seife und Wasser entfernt werden.
2 Auch der Bereich um den Anus muss täglich gewaschen werden.


Die Geschlechtsorgane des Mannes liegen außerhalb des Körpers, die der Frau liegen im Becken. Richtige Intimpflege ist wichtig Man kann dadurch nicht nur Körpergeruch, sondern auch Krankheiten vermeiden.





2 Der Bereich zwischen den Vulvalippen und die Hautfalte der Klitoris werden vorsichtig mit klarem Wasser und einer milden Seife gereinigt.
2 Die Scheide reinigt sich selbst. Hier ist Waschen unnötig. Die natürliche Scheidenflora würde zerstört werden und Viren und Bakterien könnten sich ungehindert vermehren.
2 Wichtig ist, dass immer von der Scheide in Richtung After gewaschen oder abgewischt wird. Bakterien aus dem Darm könnten sonst leicht in die Scheide einwandern. Infektionen sind die Folge.
2 Slipeinlagen müssen regelmäßig gewechselt werden.

2 Besonders wichtig ist die Intimpflege während der Regelblutung. Es ist egal, ob Tampons oder Binden verwendet werden. Das häufige Wechseln und gründliche Waschen verhindern, dass unangenehmer Geruch, aber auch Infektionen entstehen.

Hygiene bedeutet, dass durch regelmäßige Reinigung die Vermehrung und Ausbreitung von Krankheitskeimen verhindert wird. Daher spielt die Hygiene eine wichtige Rolle für die Erhaltung der Gesundheit des Menschen.
In den letzten Jahrzehnten haben vermehrte Hygienemaßnahmen gemeinsam mit der Möglichkeit, sich gegen ansteckende Krankheiten impfen zu lassen, dazu beigetragen, dass die durchschnittliche Lebenserwartung der Menschen stark angestiegen ist.

1) Der Weg der Samenzellen – Dieser Text erklärt, wie Samenzellen entstehen und was danach mit ihnen geschieht. Leider sind die Sätze durcheinandergekommen. Bringe die Sätze wieder in die richtige Reihenfolge, indem du sie nummerierst! Die Buchstaben am Ende der Sätze ergeben ein für den Mann wichtiges Hormon. %%%
Die Bläschendrüse gibt ein Sekret ab, das sich mit den Spermien vermischt, und drückt dann das Gemisch weiter.
Das Sekret der Prostata dient dazu, den pH-Wert der weiblichen Scheide auszugleichen. Dadurch erhöhen sich die Überlebenschancen der Spermien.
Die Samenzellen werden in den Samenkanälchen der Hoden gebildet.
Das Sperma gelangt in den Penis und wird schließlich ausgestoßen. Diesen Vorgang bezeichnet man als Ejakulation.
Die fertigen Spermien bleiben in den Nebenhoden. Sie können dort bis zu einem Monat verweilen. Danach sterben sie ab.
In der Prostata wird ein weiteres Sekret beigemengt. Dieses macht etwa ein Drittel des Volumens des Spermas aus.
Danach wandern sie in die Nebenhoden, wo sie sich zu reifen Spermien weiterentwickeln. Diese Reifung dauert etwa 10 Wochen.
Der Samenleiter zieht sich zusammen und pumpt die Spermien weiter.
Auch die Harnsamenröhre zieht sich zusammen und transportiert so das Sperma weiter. Unterstützt wird sie dabei durch Kontraktionen der Beckenbodenmuskulatur.
Bei sexueller Erregung versteift sich das Glied. Während des Orgasmus ziehen sich Teile des Nebenhodens zusammen und drücken so einen Teil der Spermien in den Samenleiter.

Die Prostata pumpt anschließend das fertige Sperma in die Harnsamenröhre.
S E E O O R T T T N S Olympe
LÖSUNGSWORT: T

2) Kennst du die Fachausdrücke? Die Zahlen stehen immer für dieselben Buchstaben. Finde die richtigen Fachausdrücke, dann ergeben die Buchstaben in den Kästchen ein Lösungswort! %%%
Scheide

weibliches Geschlechtshormon, im Gelbkörper gebildet
Regel
Samenzellen
männliches Geschlechtshormon
Vorsteherdrüse
Eibläschen
Versteifung des Penis
Eierstöcke
Samenerguss
LÖSUNGSWORT:

= anderer Ausdruck für Geschlechtsorgane
3) Typisch weiblich oder typisch männlich? Warum kann man diese Adjektive den Personen nicht zuordnen? Überlege und besprich diese Aufgabe mit deiner Sitznachbarin/deinem Sitznachbarn! %%



Freundschaft und Liebe sind Gefühle, die uns von Kindertagen an begleiten. Wir lieben unsere Eltern, Geschwister, Oma und Opa. In der Kindheit schließen Kinder mit anderen Mädchen oder Buben Freundschaft. Doch erst ab der Pubertät bekommen Freundschaft und Liebe eine zusätzliche Bedeutung, weil nun neben Zärtlichkeit auch die Sexualität eine zunehmende Rolle spielt.
Formen der Sexualität
Sexualität ist sehr vielfältig. Wichtig ist zwischen biologischem Geschlecht („Sex“), verbunden mit der Produktion von Samen- oder Eizellen und damit den Geschlechtsorganen einerseits und dem sozialen Geschlecht (Geschlechtsidentität, Gender), verbunden mit Verhaltensweisen und Rollenbilden andererseits, zu unterscheiden. Menschen, die sich sozial weder als Frau oder Mann fühlen nennt man nichtbinär. Menschen, deren Geschlechtsorgane nicht eindeutig männlich oder weiblich sind, nennt man intergeschlechtlich. Hinzu kommt die sexuelle Orientierung , also von welchen Geschlechtern man sich romantisch und sexuell angezogen fühlt. Die sich ergebenden Kombinationsmöglichkeiten stehen oft im Konflikt mit traditionellen Vorstellungen und Werten von Sexualität.
HETEROSEXUALITÄT: Heterosexuell bezeichnet Männer und Frauen, die sich romantisch und sexuell zum jeweils anderen Geschlecht hingezogen fühlen.
HOMOSEXUALITÄT: Homosexuelle fühlen sich vom gleichen Geschlecht angezogen. Frauen, die mit anderen Frauen eine Beziehung eingehen, nennt man lesbisch. Männer, die mit anderen Männern eine Beziehung haben, nennt man schwul. Auch heute noch werden diese Menschen mitunter verspottet, ausgegrenzt und angefeindet.
BISEXUALITÄT (auch AMBISEXUALITÄT): Bisexuelle Menschen fühlen sich zum eigenen und einem anderen Geschlecht hingezogen.
TRANSSEXUALITÄT: Transsexuelle Menschen empfinden, dass ihre Geschlechtsidentiät nicht mit dem ihnen, aufgrund biologischer Merkmale, zugewiesenen Geschlecht übereinstimmt. Sie wollen meist auch körperlich dem empfundenen Geschlecht entsprechen. Durch eine Geschlechtsumwandlung ist dies, mit der Ausnahme schwanger zu werden oder Kinder zu zeugen, möglich.
PANSEXUALITÄT: Pansexuelle Menschen zeigen keine Bevorzugung bestimmter Geschlechter in ihrer romantischen und sexuellen Ausprägung.
Wenn zwei Menschen ineinander verliebt sind und Zärtlichkeiten austauschen, entsteht früher oder später auch der Wunsch, Geschlechtsverkehr miteinander zu haben. Geschlechtsverkehr bedeutet nicht nur Lust für beide, er vermittelt den Partnern auch das Gefühl, dass sie einander lieben und einander vertrauen können. Zärtlichkeit ist ein wichtiger Teil der Sexualität. Dadurch wird die Bindung zueinander gefestigt.

Zärtlichkeit, ein Teil der Sexualität
In einer guten Partnerschaft kann man miteinander über Sex und die eigenen Wünsche reden. Man kann sagen, was man möchte und was man nicht möchte. Die Partnerin/der Partner wird die Wünsche respektieren.

Heterosexuelles Paar
hetero: griechisch: verschieden

homo: griechisch: gleich
Hast du schon einmal gehört, wie jemand von einem anderen als „schwul“ bezeichnet wurde? Was wollte er damit zum Ausdruck bringen? Wie würdest du diesen Begriff verwenden?

Homosexuelle Frauen
Brauchst du Hilfe?
Hier findest du sie!
Wichtige
Telefonnummern
Jugendamt (Wien)
01/4000/80 11
Rat auf Draht
Kindernotruf 147
24-Stunden
Frauennotruf der Stadt
Wien
01/71 71 9
möwe-helpline
0800 808088
Telefonseelsorge 142



Es gibt verschiedene Formen der Sexualität
MASTURBATION: Erste sexuelle Erfahrungen machen die meisten Menschen an sich selbst und zwar durch Streicheln und Berühren der Geschlechtsorgane. Diese Art der Selbstbefriedigung gibt Auskunft über den eigenen Körper, was man mag, wie man reagiert und was einem unangenehm ist. Selbstbefriedigung – auch Masturbation genannt – ist eine wichtige Erfahrung in der Entwicklung zum verantwortungsvollen Umgang mit sich und anderen.
PETTING: Küssen, gegenseitiges Streicheln, das Berühren bestimmter Körperstellen wie der erogenen Zonen (z. B. Lippen, Brustwarzen und Geschlechtsorgane) führen zur sexuellen Erregung. Dies nennt man auch Petting. Petting ist noch kein Geschlechtsverkehr.
GENITALVERKEHR: Liebe und Sex gehören in einer guten Beziehung zusammen. Durch das sogenannte Vorspiel (Streicheln, Küssen usw.) kommt es zur sexuellen Erregung. Dabei versteift sich das Glied des Mannes und die Scheide der Frau wird feucht. Beim Genitalverkehr zwischen Mann und Frau kann so das Glied in die Scheide der Frau eingeführt werden. Meistens führen rhythmische Bewegungen des Gliedes in der Scheide zum Orgasmus, auch Höhepunkt genannt, beim Mann. Bei Frauen ist oft auch die Stimulation der Klitoris (z.B. durch das Schambein des Mannes) notwendig. Es kommt zur Ejakulation, zum Ausstoßen von Samenflüssigkeit aus dem Glied bzw. einem rhythmischen Zusammenziehen und Entspannen von Scheide und der Gebärmutter. Dem Orgasmus folgt schließlich eine Form der körperlichen und seelischen Entspannung.
Missbrauch
Häufig wird Missbrauch an Kindern und Jugendlichen nicht von „bösen Fremden“ begangen, sondern geschieht im Familien- oder Bekanntenkreis. Die Opfer werden zum Geschlechtsverkehr oder anderen sexuellen Handlungen gezwungen. Auch Berührungen, Gespräche oder das Anschauen von Bildern, wenn dir das unangenehm ist, gehören dazu.
Du darfst und musst dann sehr bestimmt NEIN sagen. Wird dieses NEIN nicht akzeptiert, dann wende dich sofort an einen Menschen, dem du vertraust. Sie/Er muss dir helfen! Auch öffentliche Einrichtungen gibt es, die dir helfen können.


Jeder Mensch hat das Recht, dass seine Wünsche und Bedürfnisse respektiert werden, und muss auch die Bedürfnisse anderer anerkennen. Sexualität und Liebe gehören in einer guten Beziehung zusammen. Missbrauch ist eine Form von Gewalt und strafbar.





WICHTIG: Lass dir niemals Schuldgefühle einreden („Sag nichts davon, du hast es ja nicht anders verdient!“ „Sag nichts der Mama, sie wird sonst sehr unglücklich!“)!
Nicht du hast Schuld, sondern der Täter oder die Täterin!
Jeder Missbrauch ist eine strafbare Handlung! Noch im Erwachsenenalter haben missbrauchte Menschen häufig ein gestörtes Verhältnis zur Sexualität.

Nun geht‘s los – Aufgaben für schlaue Köpfe!
1) Welche Eigenschaften sind dir bei einer Freundin/einem Freund besonders wichtig? Begründe auch, warum dir diese Eigenschaften wichtig sind! %%%

Begru¨ndung:
Eigenschaften:
2) Was sagst du dazu? %%
Verliebt sein heißt: Schmetterlinge im Bauch haben!


3) Schreibe zu jedem Begriff die richtige Erklärung! %%

Samenerguss © Selbstbefriedigung durch Berühren der Geschlechtsorgane © Reizen der erogenen Zonen und Geschlechtsorgane © gleichgeschlechtliche Beziehung © verschiedengeschlechtliche Beziehung © Geschlechtsverkehr; Penis wird in die Scheide eingeführt © Höhepunkt der sexuellen Erregung

Ejakulation:
Genitalverkehr:

Heterosexualität:
Homosexualität:
Masturbation: _____________________________________________________________________________
Orgasmus: ________________________________________________________________________________
Petting:

4) Chatten kann gefährlich sein! Lies folgende Tipps zum Schutz gegen sexuellen Missbrauch im Chat! Nimm diese Anregungen ernst! Überlege auch, wie man sich noch schützen kann! %%%%%
Nicht wenige weibliche und männliche Lügner und Kindesmissbraucher haben inzwischen Chaträume, MSNund YAHOO-Messenger und auch das Handy als eine Möglichkeit entdeckt, um sich an Mädchen und Jungen heranzumachen. Sehr oft geben sie sich als Jugendliche aus, um dein Vertrauen zu erlangen. Hier einige Tipps, wie du dich gegen Belästigungen schützen kannst:
1. Gib niemals deinen wirklichen Namen, deine Adresse, Schuladresse, Telefon- oder Handynummer im Chat oder per E-Mail weiter!
2. Verwende für Anmeldeformulare einen Fantasienamen und denk dir eine Adresse aus! Achte dabei darauf, dass dein Nickname keine Hinweise auf deine Person gibt!
3. Du solltest dich niemals ohne Begleitung eines Erwachsenen mit einem „Chatfreund“ treffen!
4. Schreib in deinem Profil, dass du jeden sperrst, blockst oder ignorierst, der mit dir über Sex chatten will!
5. Du solltest kein Foto in dein Profil stellen! Vermeide auf jeden Fall Fotos, auf denen du spärlich bekleidet bist!




Von der Befruchtung bis zum Keim
Während des Geschlechtsverkehrs wird beim Orgasmus aus dem Penis des Mannes Samenflüssigkeit ausgestoßen. Dadurch gelangen Millionen von Samenzellen in die Scheide der Frau.
Diese bewegen sich mit Hilfe ihrer Geißeln durch den Muttermund in die Gebärmutter und weiter in den oberen Teil der Eileiter.
Trifft nun eine Samenzelle auf eine befruchtungsfähige Eizelle, so dringt ihr Zellkörper in die Eizelle ein. Danach verändert sich die Membran der Eizelle so, dass keine andere Samenzelle mehr eindringen kann.
Die Zellkerne der Samenzelle und der Eizelle verschmelzen, ein neuer Zellkern entsteht. Dieser enthält die Erbanlagen von Mutter und Vater. Man spricht von der Befruchtung. Da die Lebensdauer der Samenzellen 2 bis 5 Tage beträgt, kann es auch noch bis zu mehreren Tagen nach dem Geschlechtsverkehr zu einer Befruchtung kommen.
Die befruchtete Eizelle teilt sich auf ihrem Weg in die Gebärmutter immer wieder. Es entsteht ein kugeliger Zellhaufen, der Keim.
Bereits zu diesem Zeitpunkt bildet der Keim ein Hormon, das verhindert, dass weitere Follikel reifen. Eine Regelblutung ist nun nicht mehr möglich. Treten bei einer bekannten Schwangerschaft trotzdem Blutungen auf, sollte der Arzt aufgesucht werden.
Informiere dich zu Verhütungsmethoden und gestalte eine Infoseite dazu!
9 Monate??? Wie wird die Dauer einer Schwangerschaft berechnet?
Der Arzt addiert zum 1. Tag der letzten Regelblutung 280 Tage und erhält damit den voraussichtlichen Geburtstermin des Kindes. Diese Rechnung ergibt 10 Schwangerschaftsmonate zu je 28 Tagen oder 40 Schwangerschaftswochen!

Am 6. Tag nistet sich der Keim in die Gebärmutterschleimhaut ein.
1. Tag
2. Tag
3. Tag
Zellhaufen (Keim)
4. Tag
5. Tag
Keim nistet sich ein
6. Tag
Verschmelzen der Zellkerne
Gelbkörper Eierstock
reifer Follikel
Eisprung
Eizelle
Vom Tag der Befruchtung (die man allerdings selten genau angeben kann) dauert eine Schwangerschaft 38 Wochen.


Zellkern der Eizelle

Die ersten sechs Tage der Schwangerschaft
Zellkern der Samenzelle
Befruchtung
Was kann es bedeuten, wenn die Regelblutung ausbleibt?
Der Embryo entwickelt sich

Ultraschallbild eines Embryos
Welche Auswirkungen kann der Konsum von Suchtmitteln durch die Mutter auf das ungeborene Kind haben? Recherchiere online, um deine Gedanken zu überprüfen!
Diskutiert in Kleingruppen: Was sollte eine schwangere Frau alles tun, um ihr Kind nicht zu gefährden?
Plazenta: Mutterkuchen
Wie funktioniert ein Schwangerschaftstest?
Bei einem Schwangerschaftstest, der in der Apotheke oder Drogerie erhältlich ist, wird ein Schwangerschaftshormon im Harn nachgewiesen. Ein sicherer Nachweis ist erst 14 Tage nach der Befruchtung möglich.


Was sind Schwangerschaftshormone?


Aus den Zellen der Keimwand bilden sich Zotten, die in die Gebärmutterwand einwachsen. Die Plazenta entsteht. Sie ist das Versorgungsorgan für den Embryo.
Die Nabelschnur bildet die Verbindung zwischen Plazenta und Embryo. Durch sie werden einerseits Nahrung und Sauerstoff aus dem Blut der Mutter an den Embryo weitergegeben und andererseits Abfallstoffe des Embryos in das Blut der Mutter abgegeben.
Das Hormon Progesteron verhindert, dass weitere Follikel reifen, sodass keine weiteren Eizellen befruchtet werden können.
Durch ein anderes Schwangerschaftshormon (Prolaktin) wird das Wachstum der Milchdrüsen in der Brust angeregt.
Es gibt keine direkte Verbindung zwischen dem Blutkreislauf der Mutter und dem des Embryos. Trotzdem können Drogen, Alkohol, Medikamente, Nikotin und Krankheitskeime über die Plazenta in den Embryo gelangen.
Um den Embryo entwickelt sich die Fruchtblase, die mit Fruchtwasser gefüllt ist. Sie schützt den Embryo vor Druck und Stößen. Bereits in den ersten Wochen entstehen alle Organsysteme, daher ist diese Zeit eine besonders wichtige Phase während der Schwangerschaft.


Embryo: ca 49 Tage, ca. 2– 3 cm groß


Fetus ca. 7 cm groß
Im Alter von 49 Tagen schwimmt der Embryo in der Fruchtblase. Kopf und Gehirn sind relativ groß und deutlich sichtbar. Auch die menschliche Gestalt ist in diesem Alter bereits erkennbar.
Ab dem 3. Monat bilden sich Nervenzellen im Gehirn. Von diesem Zeitpunkt an spricht man vom Fetus. Mit 77 Tagen bilden sich bereits Haare und Nägel. Ab viereinhalb Monaten werden Arme, Beine und der Kopf bewegt, die Herztöne sind mit einem Stethoskop abhörbar und das Geschlecht ist deutlich erkennbar.
Die letzten Monate vor der Geburt
Im 7. Monat ist der Fetus ca. 40 cm lang und 1 000 g schwer. Ab diesem Zeitpunkt können die meisten Frühgeburten außerhalb der Gebärmutter überleben. Kinder, die in diesem Alter geboren werden, müssen aber in einem Brutkasten gewärmt und versorgt werden.
In den letzten beiden Monaten reift der Fetus aus, sodass er schließlich eine durchschnittliche Länge von 50 cm und ein Gewicht von 3 500 g erreicht.
In den meisten Fällen dreht sich der Fetus zwischen der 34. bis 36. Schwangerschaftswoche mit dem Kopf nach unten.


Körperliche Veränderung vom 3. bis zum 10. Schwangerschaftsmonat
Jede Schwangerschaft stellt eine große Veränderung für den Körper der Frau dar. Viele werdende Mütter leiden vor allem in den ersten 3 Monaten an Übelkeit und Erbrechen. Später passt sich der Körper den hormonellen Veränderungen an.


Gebärmuttermund

Baby im Brutkasten
Betrachte diese Abbildungen und stelle fest, was sich verändert! Überlege, welche körperlichen Beschwerden bei einer Schwangeren auftreten können und was die Ursachen sein könnten!
Überlege welche äußeren Reize zum Kind vordringen und von ihm wahrgenommen werden könnten! Gibt es Auswirkungen? Verhält sich das für die gesamte Schwangerschaft gleich?

Fetus im 9. Monat
Mit der Größe des Fetus wächst der Bauch der Schwangeren. Ab dem 4. Schwangerschaftsmonat ist die Schwangerschaft auch äußerlich deutlich sichtbar. In den letzten Monaten kann sich die Schwangere nicht mehr so gut bewegen. Oft kommt es zu Rückenschmerzen.
Gefahren für das
Der Mutter-Kind-Pass unterstützt die gesundheitliche Vorsorge für Schwangere und Kleinkinder bis zum fünften Lebensjahr. Bestimmte Untersuchungen sind kostenlos und sollen auf eventuelle Gefahren für Mutter und Kind rechtzeitig hinweisen.
2 Spezielle Untersuchungen: Sie zeigen, wie sich das Baby und seine Organe entwickeln.
2 Alkohol-, Nikotin- und Drogenkonsum sowie Essstörungen der Mutter: Diese können schwere Schäden oder Entwicklungsverzögerungen beim Kind hervorrufen.
2 Krankheitserreger im Blut der Mutter: Auch diese gefährden das Kind.

Was ist Bonding? Als Bonding bezeichnet man die intensive Beziehung zwischen einem Kind und seiner Bezugsperson. Intensiver Hautkontakt und die Körperwärme fördern die Entwicklung der Frühgeborenen. Sie sorgen für ein inniges und entspanntes Verhältnis.

Babybauch 9. Monat
Die Phasen der Geburt



Was ist das österreichische Mutterschutzgesetz? Es schützt schwangere Arbeitnehmerinnen. So dürfen Schwangere 8 Wochen vor und nach der Geburt nicht arbeiten. Diese Bestimmung dient der Schonung von Mutter und Kind. Der Arbeitsplatz muss in dieser Zeit der Mutter erhalten bleiben, d.h. sie darf nicht gekündigt werden. Bei einer Mehrlings- oder Frühgeburt bzw. bei einem Kaiserschnitt gilt sogar eine Schutzfrist von 12 Wochen nach der Geburt.
entbinden: ein Kind zur Welt bringen
Kaiserschnitt: der Fetus wird operativ aus der Gebärmutter der Mutter geholt. Bauchdecke und Gebärmutter werden mit einem Schnitt geöffnet.
Steißlage: das Baby dreht sich vor der Geburt nicht mit dem Kopf nach unten
Hebamme: Entbindungspfleger/in, begleitet eine Schwangere während der Schwangerschaft und unterstützt sie während der Geburt

1. Phase – ERÖFFNUNG: Die Geburt eines Kindes kündigt sich durch die Wehen an. Dabei ziehen sich die Gebärmuttermuskel in regelmäßigen Abständen zusammen. Die Abstände zwischen den Wehen werden immer kürzer. Das Kind wird meist mit dem Kopf voraus immer weiter in das Becken gedrückt. Durch den Druck platzt die Fruchtblase und das Fruchtwasser fließt aus der Scheide. Das nennt man den Blasensprung.
2. Phase – AUSTREIBUNG: Das Kind wird durch besonders starke Wehen, die Presswehen, in die Scheide gedrückt und üblicherweise mit dem Kopf voran geboren. Es gibt aber auch die Entbindung durch einen Kaiserschnitt. Unmittelbar nach der Geburt vor dem ersten Schrei entfalten sich die Lungen und das Kind beginnt zu atmen. Die Ärztin/der Arzt oder die Hebamme bindet die Nabelschnur ab. Oft darf sie der bei der Geburt anwesende Vater durchtrennen.
3. Phase – NACHGEBURT: Kurz nach der Geburt löst sich auch die Plazenta in der Gebärmutter. Sie wird zusammen mit den Resten der Fruchtblase ausgestoßen. Man nennt dies die Nachgeburt. Damit ist die letzte Phase der Geburt abgeschlossen.


Eine Geburt kann unterschiedlich lange dauern. Man rechnet mit durchschnittlich 13 Stunden bei Erstgebärenden und 8 Stunden bei Frauen, die bereits einmal geboren haben. Der Geburtsvorgang ist für eine Frau sehr schmerzhaft, äußerst anstrengend, aber dennoch ein wunderbares Erlebnis. Für den Vater des Kindes besteht die Möglichkeit, bei der Geburt anwesend zu sein. Er kann der Gebärenden dadurch Geborgenheit geben. Vor allem aber kann der Vater dieses außergewöhnliche Ereignis miterleben, welches die Bindung zu seinem Kind sicher verstärkt.
Zärtlichkeit, Zuwendung und ein liebevoller Umgang mit dem Baby sind die besten Voraussetzungen, damit ein Kind sich gut entwickeln kann. Vater und Mutter sind dafür zu gleichen Teilen verantwortlich.

Die befruchtete Eizelle nistet sich in die Gebärmutter ein. Der Embryo entwickelt sich zum Fetus. Nach 9 Monaten wird das Kind durch die Scheide geboren. Die erste und wertvollste Nahrung ist Muttermilch.


Muttermilch ist die natürlichste und gesündeste Nahrung für ein Neugeborenes. Sie enthält Nährstoffe und Stoffe, die das Baby vor Infektionen schützen. Wenn ein Stillen nicht oder nur eingeschränkt möglich ist, wird das Baby mit spezieller und dem Alter angepasster Säuglingsnahrung gefüttert.

Beim Stillen
Babys entwickeln sich körperlich und geistig sehr schnell. Die angeborenen Verhaltensweisen wie das Saugen und Greifen sowie der Gebrauch der Sinne lassen das Baby auf seine Umwelt reagieren.

1) Was ist auf diesem Bild zu sehen? Beschreibe mit eigenen Worten, was hier geschieht! %%%


2) Ordne die Abbildungen in der richtigen Reihenfolge, indem du sie nummerierst! Dann schreibe den richtigen Text dazu! %%
Eine Samenzelle dringt ein, sie verliert dabei die Geißel. © Die Zellkerne verschmelzen. © Eine Zygote (=befruchtete Eizelle) ist entstanden. © Millionen Samenzellen erreichen die reife Eizelle.












3) Richtig oder falsch? Welche dieser Aussagen zur Schwangerschaft sind richtig, welche nicht? Wenn du richtig ankreuzt, erhältst du ein Lösungswort! %%% richtig falsch Die Nabelschnur bildet die Verbindung zwischen Plazenta und Embryo. F A Alkohol und Nikotin können von der Mutter nicht in den Embryo gelangen. S E In den ersten Monaten der Schwangerschaft leiden Frauen oft an Übelkeit. T D In den ersten Schwangerschaftswochen entstehen im Embryo noch keine Organe. G U Ab dem 7. Monat ist ein Fetus überlebensfähig. S E
LÖSUNGSWORT:
4) Lies den folgenden Artikel, denn er enthält wichtige Informationen zum Thema Spermien! %

5) Überlege, welche Schlüsse man aus diesen Informationen ziehen kann! Sprich darüber mit deiner Sitznachbarin/deinem Sitznachbarn! %%%%
6) Wenn ein Kinderwunsch sich nicht erfüllt, kann dies eine Beziehung schwer belasten. Was sagst du zu der Aussage dieses Mannes? %%%
Jetzt wünschen wir uns schon so lange ein Kind und es klappt nicht! Geh doch endlich zum Arzt, mit dir ist etwas nicht in Ordnung!

7) Besprecht, welche Möglichkeiten Paare haben, um sich einen Kinderwunsch zu erfüllen! Sucht Informationen zu diesem Thema (Bibliothek, Internet) und diskutiert darüber in der Klasse! %%%% Nun

Ich finde,
Warum verhüten? Wer trägt die Verantwortung?
Das „erste Mal“ ist für jedes Mädchen und jeden Burschen ein besonderer Moment. Wichtig ist, dass beide den Geschlechtsverkehr auch wirklich möchten. Eine gewisse Reife und Verantwortung sich und der Partnerin/dem Partner gegenüber ist eine notwendige Voraussetzung.
Niemand darf sich, nur weil es die Partnerin/der Partner will, zum Geschlechtsverkehr überreden lassen.
Genauso wichtig ist, dass man vorher gemeinsam über Möglichkeiten der Schwangerschaftsverhütung spricht und sich der Verantwortung bewusst wird, die beide dabei haben. Denn: Jeder Geschlechtsverkehr ohne Verhütung kann zu einer Schwangerschaft führen!


Will oder kann man die Verantwortung für ein Kind nicht oder noch nicht tragen, so müssen beide Partner über Verhütungsmethoden und ihre Anwendung Bescheid wissen.
Aber auch der Schutz vor einer sexuell übertragbaren Krankheit beim Geschlechtsverkehr ist wichtig.
Wann kann ein Mädchen schwanger werden?
Sobald ein Mädchen den ersten Eisprung hat, kann es schwanger werden. Das bedeutet, dass es noch gar keine Regel gehabt haben muss und trotzdem schwanger werden kann. Kein Mädchen weiß genau, wann der erste Eisprung auftritt und wann es die erste Regel bekommt. Daher ist Verhütung immer ein Thema!
Wer bei Geschlechtsverkehr verhütet, ist vor einer ungewollten Schwangerschaft sicher.
Was sind Methoden der Verhütung?
Darunter versteht man alle Methoden, die das Reifen einer Eizelle, das Befruchten oder das Einnisten der befruchteten Eizelle verhindern.
Wie sicher sind Verhütungsmittel?
Wie sicher ein Verhütungsmittel ist, gibt der Pearl-Index an. Je niedriger der Pearl-Index ist, desto sicherer ist die Methode. Die Pille z. B. hat einen Pearl-Index von 0,1 – 0,9. Sie gilt als sehr sichere Verhütungsmethode.
Nur ein Kondom schützt auch vor Geschlechtskrankheiten!

Überlege, welche Gründe es gibt, dass junge Menschen noch keine Kinder wollen!


Wann geht man zur Frauenärztin/zum Frauenarzt?
Die Fachärztin/der Facharzt für Frauen und Mädchen ist die Gynäkologin/der Gynäkologe. Ein Besuch bei der Gynäkologin/beim Gynäkologen ist notwendig …
• wenn starke Regelschmerzen auftreten,
• wenn mit 16 Jahren noch keine Regelblutung eingesetzt hat,
• wenn die Blutung ausbleibt,
• wenn man mehr über Verhütungsmethoden erfahren möchte, die man einsetzen kann,
• wenn ein Verdacht auf eine sexuell übertragbare Krankheit besteht.
Pearl-Index: Er gibt an, wie viele Frauen von 100, die regelmäßig Sex haben, trotz Anwendung einer bestimmten Verhütungsmethode innerhalb eines Jahres schwanger wurden.

Empfängnisverhütung –es wird verhindert, dass …

• eine befruchtungsfähige Eizelle entsteht.
• eine Eizelle befruchtet wird.
• sich eine befruchtete Eizelle in der Gebärmutterschleimhaut einnistet.



Was ist die Knaus-Ogino Verhütungsmethode?
Die Temperaturmethode wird auch nach ihren beiden Erfindern so genannt. Ursprünglich hatte sie der Japaner Kyūsaku Ogino entwickelt, um die Chance, ein Kind zu zeugen, zu erhöhen.
Der Österreicher Hermann Knaus entwickelte diese Methode in den 1930-er Jahren zur Empfängnisverhütung weiter.
Ogino wandte sich schon damals wegen der geringen Zuverlässigkeit gegen einen Gebrauch zur Empfängnisverhütung.
Was kannst du aus den Angaben zum Pearl-Index herauslesen? Formuliere aus, was die Zahlen genau bedeuten!
Coitus interruptus: lat „Coitus“ = Geschlechtsverkehr und „interruptus“ = unterbrochen

Was sagt der Pearl-Index zu …
Kalendermethode: 9
Temperaturmethode: 0,8 – 3
Coitus interruptus: 4 – 18
Bei allen natürlichen Methoden der Empfängnisverhütung müssen die fruchtbaren und unfruchtbaren Tage einer Frau bestimmt werden.
Dazu musst du wissen:
Verlässt die Eizelle den Eierstock, so ist sie im Eileiter auf dem Weg in die Gebärmutter bis zu 24 Stunden bereit zur Befruchtung.
Allerdings muss auch die Lebensdauer (bis zu 5 Tagen!) der Spermien berücksichtigt werden! Den Zeitraum von 5 Tagen vor bis einen Tag nach dem Eisprung bezeichnet man als fruchtbare Tage der Frau. Während dieser Zeit darf die Frau keinen ungeschützten Geschlechtsverkehr haben, wenn sie nicht schwanger werden will.
Alle natürlichen Methoden müssen sich nach dem Zyklus der Frau richten, da Männer immer fruchtbar sind. Das bedeutet, dass ihre Samenzellen jederzeit eine Eizelle befruchten können.
Um natürliche Verhütung anwenden zu können, muss der Zyklus sehr regelmäßig sein und möglichst 28 Tage betragen. Außerdem muss die Frau ihren Zyklus sehr genau beobachten. Für junge Mädchen sind alle diese Methoden daher nicht gut geeignet, da bei ihnen der Zyklus oft noch nicht so regelmäßig ist.
Methoden der natürlichen Verhütung
KALENDERMETHODE: Dabei werden nach genauer Beobachtung die fruchtbaren Tage bestimmt. An diesen Tagen darf kein Geschlechtsverkehr stattfinden, außer man wendet eine zusätzliche Verhütungsmethode an.
TEMPERATURMETHODE: Bei dieser Methode muss täglich die Körpertemperatur möglichst zur selben Zeit am Morgen und vor dem Aufstehen gemessen werden. Da die Körpertemperatur nach dem Eisprung um 0,5 ° höher ist, lässt sich so der Eisprung ermitteln.

Eisprung
erhöht um mind. 0,2 °C niedrige Temperatur, 6 Tage lang mind. 3 Tage lang erhöht
Aufzeichnung der Temperatur
COITUS INTERRUPTUS – Aufpassen: Beim Coitus interruptus zieht der Mann, kurz bevor es zum Samenerguss kommt, den Penis aus der Scheide. Da bereits vor dem Samenerguss Spermien aus dem Penis ausfließen können, ist dies aber keine sichere Verhütungsmethode.
ACHTUNG: Sie ist die einzige und absolut nicht empfehlenswerte natürliche Methode, die dem Mann derzeit möglich ist.
Methoden der mechanischen Verhütung
Alle mechanischen Methoden der Verhütung sollen verhindern, dass die reife Eizelle mit einer Samenzelle in Berührung kommt.
KONDOM: Das Kondom (Gummi, Präservativ) ist eine elastische, dünne Hülle, die über den bereits steifen Penis gezogen wird. Dies muss so geschehen, dass im vorderen Bereich des Gummiüberzuges Platz für das Sperma bleibt, das bei der Ejakulation aus dem Penis ausfließt. Damit diese Methode sicher ist, muss der Penis, noch bevor er schlaff wird, mitsamt dem Kondom aus der Scheide gezogen werden.
ACHTUNG! Nach der Entfernung des Kondoms können Spermien an den Händen kleben!
FEMIDOM: Das Femidom, ein „Kondom“ für die Frau, ist aus dünnem, reißfestem Kunststoff. Es wird in die Scheide eingeführt, sodass sich der äußere Ring vor den großen Vulvalippen befindet und der innere Ring in der Scheide vor dem Muttermund zu liegen kommt. Der Vorteil an dieser Methode liegt darin, dass das Femidom bereits Stunden vor dem Geschlechtsverkehr in die Scheide eingeführt werden kann. In Österreich ist das Femidom nicht erhältlich.
Kondom und Femidom sind die einzigen Verhütungsmittel, die auch vor sexuell übertragbaren Krankheiten schützen! Sie sollten nur in Apotheken oder Drogeriemärkten gekauft werden. Außerdem ist auf das Haltbarkeitsdatum zu achten!
PORTIOKAPPE, SCHEIDENDIAPHRAGMA und SPIRALE: Diese werden zur Verhütung ebenfalls in die Scheide eingeführt, sind aber für junge Mädchen nicht empfehlenswert. Die Spirale wird von einer Ärztin/einem Arzt in die Gebärmutter eingesetzt. Spiralen geben Hormone ab, die eine Schwangerschaft verhindern.



Portiokappe, Diaphragma und Spirale
STERILISATION – ein chirurgischer Eingriff: Die sicherste Methode der Schwangerschaftsverhütung ist die Sterilisation. Dabei werden die Samenleiter des Mannes bzw. die Eileiter der Frau bei einer Operation durchtrennt. Diese Möglichkeiten sollte man nur dann wählen, wenn man sicher ist, dass man keine Kinder mehr möchte. Das Ergebnis der Operation kann oft nur schwer – oder gar nicht – rückgängig gemacht werden!





richtig


Femidom richtig eingeführt

Was sagt der Pearl-Index zu …
Kondom: 3 – 7
Femidom: 5 – 25
Portiokappe: 6
Spirale: 1,5 – 3
Diaphragma: 2 – 4
Sterilisation: 0
Was sagt der Pearl-Index zu …
Salben, Zäpfchen, Gele, Schaum oder Sprays: 3 – 10

Antibabypille: 0,1 – 0,9
Dreimonatsspritze: 0,3 – 1,4

Informiere dich zu den Nebenwirkungen hormoneller Verhütung!
Finde Argumente für und gegen die verschiedenen Verhütungsmethoden!
Tausche dich mit deiner Sitznachbarin, deinem Sitznachbarn aus.


Gibt es die „Pille für den Mann“?
SALBEN, GELE, ZÄPFCHEN, SCHAUM oder SPRAYS: Diese werden vor dem Geschlechtsverkehr in die Scheide eingeführt und sollen die Spermien abtöten oder ihre Beweglichkeit verringern, sodass sie die befruchtungsfähige Eizelle nicht erreichen.
Wendet man nur diese Präparate an, ist eine Verhütung relativ unsicher. In Kombination mit mechanischen Verhütungsmitteln ist ihre Wirksamkeit jedoch sehr hoch. Allerdings kann es durch diese Mittel manchmal zu Schleimhautreizungen kommen.
ANTIBABYPILLE: Durch den Einsatz von Hormonen wird der Eisprung unterdrückt und den Spermien der Zugang über den Muttermund in die Gebärmutter erschwert.

Zu den bekanntesten Präparaten gehört die Antibabypille. Je nach Zusammensetzung spricht man von der Mikropille, der Minipille oder der Dreiphasen-Pille
Alle bieten bei richtiger, das heißt regelmäßiger Einnahme großen Schutz vor ungewollter Schwangerschaft.
ACHTUNG: Es besteht aber kein Schutz vor sexuell übertragbaren Krankheiten. verschiedene Antibabypillen
HORMONPFLASTER, DREIMONATSSPRITZE, HORMONSTÄBCHEN oder HORMONSPIRALE: Man kann auch mit diesen Präparaten verhüten, die ähnlich wie die Pille funktionieren.
BEDENKE: Alle hormonellen Verhütungsmittel sind Medikamente, die auch Nebenwirkungen haben können. Sie müssen von einer Gynäkologin/ einem Gynäkologen verschrieben werden.




Hormonelle Verhütungsmittel gibt es derzeit nur für die Frau. Obwohl Arzneimittelhersteller daran arbeiten, ein Hormonpräparat herzustellen, das die Produktion von Spermien unterdrückt, wurde bisher kein solches Medikament entwickelt. Es gibt unterschiedliche Methoden der Verhütung. Wenn ein Paar kein oder noch kein Kind möchte, so liegt es in der Verantwortung beider, für die richtige Verhütungsmethode zu sorgen. Wie sicher eine Methode ist, gibt der Pearl-Index an. Nur das Kondom und das Femidom schützen zusätzlich noch vor sexuell übertragbaren Krankheiten


PILLE DANACH: Dieses Medikament wird nach einem ungeschützten Geschlechtsverkehr und nur in besonderen Fällen eingenommen. Das Medikament enthält eine hohe Menge an Hormonen und verhindert das Einnisten der befruchteten Eizelle. Dazu muss das Medikament bis zu 72 Stunden (3 Tage) nach dem ungeschützten Geschlechtsverkehr eingenommen werden. Als geeignete Verhütungsmethode kann man die Pille danach nicht bezeichnen.
Der Abbruch einer Schwangerschaft ist einer Frau in Österreich bis zum Ende des 3. Schwangerschaftsmonats erlaubt.
Die Gründe für eine so schwerwiegende Entscheidung können unterschiedlich sein und müssen von einer Frau genau überlegt werden. Durch einen chirurgischen Eingriff wird der Fetus von einer Gynäkologin/einem Gynäkologen aus der Gebärmutter entfernt.
Eine Abtreibung ist für jede Frau – aber auch für ihren Partner – eine sehr schwierige Entscheidung. Auf keinen Fall handelt es sich dabei um eine Verhütungsmethode.

Durch ungeschützten Geschlechtsverkehr kann man sich mit Krankheitserregern anstecken, die zu unterschiedlichen Erkrankungen oder sogar zum Tod führen. Man spricht von sexuell übertragbaren Krankheiten.
AIDS wird oft auch durch ungeschützten Geschlechtsverkehr übertragen. Es ist aber keine Geschlechtskrankheit, da nicht die Geschlechtsorgane erkranken. Vielmehr wird durch AIDS das Immunsystem so geschwächt, dass die Krankheit schließlich zum Tod führt.
Auch Hepatitis B kann durch ungeschützten Geschlechtsverkehr übertragen werden und ist ebenfalls keine Geschlechtskrankheit.
Wenn es durch andere Krankheitserreger zu einer Erkrankung der Geschlechtsorgane selbst kommt, spricht man von Geschlechtskrankheiten. Syphilis (Lues), Tripper (Gonorrhöe) und eine Trichomonadeninfektion gehören zu den Geschlechtskrankheiten. Geschlechtskrankheiten
LUES/SYPHILIS: Die Erreger der Syphilis sind spiralförmige Bakterien, die Spirochäten genannt werden. Die Krankheit verläuft in 3 Stadien:
1. Stadium: Etwa 3 Wochen nach der Ansteckung (Geschlechtsverkehr ohne Kondom!) entstehen kleine Geschwüre am Penis oder in der Scheide. Diese schmerzen, verschwinden aber auch ohne Behandlung wieder.
2. Stadium: Nach ca. 6 Wochen tritt ein roter, ansteckender Hautausschlag auf. Die Schleimhäute im Mund und der Scheide verändern sich. Jetzt haben sich die Erreger bereits über die Blutbahn verbreitet. Auch diese Anzeichen klingen ohne Behandlung wieder ab.
ACHTUNG: Sowohl im 1. als auch im 2. Stadium ist die Krankheit mit Antibiotika heilbar.
3. Stadium: Nach 2 bis 5 Jahren, manchmal sogar nach Jahrzehnten, sind die inneren Organe, die Gehirnzellen und die Nervenbahnen so schwer geschädigt, dass eine Heilung kaum mehr möglich ist. Die Krankheit führt zum Tod.
GONORRHÖE/TRIPPER: Die Erreger der Gonorrhöe sind kugelförmige Bakterien, die Gonokokken.
Was ist Safer Sex?


Dies bedeutet „sicherer Sex“ und gleichzeitig auch „geschützter Sex“. Mit Safer Sex soll das Risiko einer Ansteckung mit sexuell übertragbaren Krankheiten reduziert werden. Bei Safer Sex wird vermieden, dass Körperflüssigkeiten in den Körper der Partnerin/des Partners gelangen und umgekehrt ebenso in den eigenen Körper.
Schon 2 bis 3 Tagen nach der Ansteckung äußert sich beim Mann die Erkrankung durch eine Entzündung der Harnröhre. Er hat brennende Schmerzen beim Urinieren. Bei der Frau entsteht ein eitriger Ausfluss aus der Scheide. Später kommt es zu einer Entzündung der Eileiter und Eierstöcke.
Im frühen Stadium ist die Krankheit mit Antibiotika gut zu heilen . Erfolgt die Behandlung zu spät oder wenn sie gar nicht behandelt wird, führt sie sowohl beim Mann als auch bei der Frau zu Unfruchtbarkeit

Stadium: hier R Abschnitt

3 Pflichten bei Verdacht auf eine Geschlechtskrankheit
1. Sofort eine Ärztin/einen Arzt aufsuchen! Geschlechtskrankheiten können im Anfangsstadium vollständig geheilt werden.
2. Die Partnerin/der Partner muss informiert werden!
Auch sie/er muss sich untersuchen und wenn nötig behandeln lassen.
3. Kein Geschlechtsverkehr, bevor die Ärztin/ der Arzt die vollständige Heilung festgestellt hat!

Syphiliserreger unter dem Elektronenmikroskop

Trichomonade
Bedenke: Oft leben Menschen lange Zeit, ohne zu wissen, dass sie HIV-positiv sind.
Überlege, welche Konsequenzen dieser Satz für das Sexualverhalten verantwortungsbewusster Menschen haben muss!

Kondome schützen vor einer HIV Infektion
Dieses Plakat wurde 2009 von einer Schulklasse des Parhamergymnasiums in Wien gestaltet.

TRICHOMONADENINFEKTION: Die Erreger dieser Erkrankung sind Einzeller (Geißeltierchen). Sie verursachen eine Entzündung in der Scheide, die in der Folge zu einem übel riechenden Ausfluss, zu Juckreiz oder zu Schmerzen beim Urinieren führt. Beim Mann kommt es zu einer Entzündung der Harnröhre.
Eine Infektion erfolgt zumeist durch ungeschützten Geschlechtsverkehr. In seltenen Fällen kann sie auch in öffentlichen Bädern oder durch verschmutztes Badewasser erfolgen. Eine Behandlung mit Antibiotika ist immer erfolgreich.
AIDS – eine schwere, noch immer unheilbare Krankheit
AIDS ist eine durch das HI-Virus hervorgerufene Immunschwächekrankheit. Sowohl im Blut als auch im Scheidensekret oder in der Samenflüssigkeit eines HIV-positiven Menschen befinden sich so viele Viren, dass sich ein gesunder Mensch anstecken kann.
Die Ansteckung erfolgt durch … 2 ungeschützten Geschlechtsverkehr, 2 durch Verwenden von gebrauchten Injektionsnadeln (Drogenszene!), 2 durch Kontakt mit dem Blut Infizierter (z. B. bei Verletzungen) 2 und durch Bluttransfusionen, wenn Blutkonserven verseucht sind.
In Österreich ist die Gefahr, durch eine Bluttransfusion angesteckt zu werden, äußerst gering.
Beim normalen Umgang im Alltag mit HIV-kranken Menschen besteht keine Ansteckungsgefahr.
Erste Symptome einer Ansteckung sind nicht leicht zu erkennen. Es kann zu Fieber, Müdigkeit, einer Lymphknotenschwellung, Durchfall oder zu Anzeichen wie bei einer harmlosen Erkältung kommen. Nur die Ärztin/der Arzt kann durch eine Blutuntersuchung den HI-Virus im Blut feststellen. Erst ab diesem Zeitpunkt weiß ein Mensch, dass sie/er HIV-positiv ist.






Sexuell übertragbare Krankheiten werden durch ungeschützten Geschlechtsverkehr übertragen. Dazu zählen AIDS und Hepatitis B Syphilis (Lues), Tripper (Gonorrhöe) und die Trichomonadeninfektion sind Geschlechtskrankheiten. Die Verwendung eines Kondoms verringert das Risiko einer Ansteckung.


Später schädigen die Viren das Immunsystem dermaßen, dass es immer öfter zu Erkrankungen wie z. B. Lungenentzündungen, Pilzerkrankungen, Hautkrebs, Lungenkrebs oder Darmgeschwüren kommt. Wenn die Erkrankung AIDS ausbricht, führt sie früher oder später zum Tod. Es gibt zwar Medikamente, die das Virus im Körper unterdrücken, heilbar ist die Krankheit aber bis heute nicht
HEPATITIS B: Auch bei Hepatitis B sind die Krankheitserreger Viren. Sie können durch ungeschützten Geschlechtsverkehr, Bluttransfusionen, unsterile Spritzen, Nadeln und Instrumente, wie sie bei medizinischen Eingriffen, Drogenmissbrauch, Tätowierungen oder Piercings zum Einsatz kommen, übertragen werden.
Krankheitssymptome können Gliederschmerzen, Fieber, Appetitlosigkeit, Übelkeit und Erbrechen sein. Es kann zu chronischen Erkrankungen der Leber kommen, die schließlich zum Tod führen.
Durch eine Impfung kann man sich vor dieser Krankheit schützen.

1) Legenden um Sex und Fortpflanzung – Wenn es um Sexualität geht, gibt es viele Annahmen unter Jugendlichen, die als „moderne Legenden“ zu bezeichnen sind. Teste dich selbst, indem du JA oder NEIN ankreuzt! Begründe auch deine Entscheidung! %%% Tipp: Wenn du nicht weiterweißt, studiere doch den Artikel von Frau Doktor Mayer im Sexualitätsreport auf S. 117!

A. Die Periode schützt 100 %ig vor Schwangerschaft.
JA NEIN
C:
B:
B. Zur Not kann man auch mit einem Tampon verhüten.
JA NEIN
D:
G: weil weil weil weil weil weil weil
C. Die Einnahme der Pille schützt vor AIDS.

E. Bei täglicher Einnahme schützt die Pille zu 99 % vor Schwangerschaft.
JA NEIN
G. Einmal Pille vergessen, macht nichts.
JA NEIN
JA NEIN A:

JA NEIN
D. Solange eine Frau stillt, kann sie nicht schwanger werden.
F. Beim ersten Mal kann man ja noch kein Kind bekommen! Ich hab noch nicht einmal die Regel. JA NEIN
E:
F:
Nun geht‘s los – Aufgaben für schlaue Köpfe!

2) Was rätst du den beiden jungen Menschen? Nenne die 3 Pflichten, die man bei Verdacht auf eine Geschlechtskrankheit hat! Begründe sie auch! %%%%
Ich habe einen Ausfluss!

1. Pflicht:
Begründung:
2. Pflicht:
Begründung:



Ungeschützten Geschlechtsverkehr hatte ich auch! Was tu ich bloß? Na, wird schon nichts Böses sein! Zur Ärztin/zum Arzt gehen ist peinlich. Einfach nicht daran denken! Und kein Wort zu meiner Freundin sagen.



3. Pflicht:
Begründung:
3) Immer zwei Begriffe gehören zusammen! Setze die Buchstaben in die Kästchen rechts ein! Ob du alles richtig gemacht hast, zeigt dir das Lösungswort! %%
Tripper
Trichomonadeninfektion Syphilis
Safer Sex Hepatitis
LÖSUNGSWORT:

Immunschwächekrankheit Krankheitserreger Spirochäten
Erkrankung der Leber Geschützter Sex Krankheitserreger Geißeltierchen Krankheitserreger Gonokokken


Unsere Gynäkologin, Frau
Dr. Mayer, klärt Sie über die spektakulärsten Mythen und Märchen zum Thema Verhütung auf.
1. Einmal Pille vergessen macht doch nichts.
2. Man kann mit einem Tampon verhüten.
3. Stillende Mütter können nicht schwanger werden.
4. Während der Periode ist keine Verhütung notwendig.
5. Man kann ein Kondom zweimal verwenden.
6. Zwei Kondome halten besser als eines.
7. Coitus Interruptus schützt vor Schwangerschaft.
8. Von Sex in der Badewanne wird man nicht schwanger.
9. Die Pille schützt auch vor Geschlechtskrankheiten.
10. Die Pille wirkt immer.
Lesen Sie auf der nächsten Seite nach, warum diese Aussagen einfach nicht stimmen!
In der „Dr. Sommer Studie 2009 – Liebe! Körper! Sexualität!“ wurde unter anderem untersucht, welche sexuellen Erfahrungen Jugendliche von 11 bis 17 Jahren bereits gemacht hatten. Der Studie ergab, dass Jugendliche im Durchschnitt zwischen 16 und 17 Jahren das erste Mal Geschlechtsverkehr haben.
Alarmierend ist, dass 28 % der Jugendlichen angaben, schon einmal ohne Verhütung Geschlechtsverkehr gehabt zu haben. Ein weiterer Schwerpunkt der Studie war der Umgang der Jugendlichen mit Pornografie. So haben bereits 63 % schon Pornos betrachtet. Mädchen finden diese jedoch eher abstoßend, während sie für Burschen erregend sind. Allerdings gaben nur 1 % der Mädchen und 8 % der Burschen an, regelmäßig Pornos zu schauen.


Fast jeder Fünfte hat schon pornografische Bilder auf dem Handy betrachtet.

Gynäkologin/Gynäkologe: Diese bieten eigene Sprechstunden für junge Mädchen an. Dabei geht es noch nicht um eine ärztliche Untersuchung, sondern darum, einander kennen zu lernen. Urologinnen/Urologen: Diese Fachärzte können Männer und Frauen aufsuchen, wenn sie Probleme mit Niere, Harnblase, Harnleiter oder Harnröhre haben. Urologen/Urologinnen sind aber auch auf männliche Geschlechtsorgane spezialisiert. So tasten sie die äußeren Geschlechtsorgane ab oder kontrollieren, ob sich die Vorhaut schmerzfrei zurückziehen lässt. Sehr wichtig sind Vorsorgeuntersuchungen, bei denen auch die Prostata untersucht wird.
Andrologin/Androloge: Das ist die eigentliche Männerärztin oder der eigentliche Männerarzt. Zu ihr/ihm kommen Männer, die Probleme mit ihrer Erektion haben. Man kann aber auch feststellen lassen, ob man Kinder zeugen kann oder ob man unfruchtbar ist.
Ärztinnen/Ärzte sind an die Schweigepflicht gebunden. Sie dürfen deshalb den Eltern also nichts von ihrem Gespräch mit ihren jungen Patientinnen/Patienten verraten. Ist eine/ein Patientin/Patient allerdings jünger als 14 Jahre, können die Eltern Auskunft verlangen. Beim Verschreiben der Pille ist bis zum 16. Geburtstag das Einverständnis der Eltern erforderlich.



In den späten 1950er-Jahren traten bei zahlreichen Neugeborenen schwere Missbildungen an Armen und Beinen auf. Hielt man zunächst Atomwaffentests für die Ursache, so stellte sich bald heraus, dass das Medikament Contergan für die Schädigungen an Feten verantwortlich war. Contergan wurde als Beruhigungsmittel millionenfach verkauft. Unter anderem wurde es auch als Mittel gegen die morgendliche Übelkeit von Schwangeren empfohlen, da man nicht wusste, dass dieses Medikament bei schwangeren Frauen schwere Nebenwirkungen hervorrufen kann. So dringt der Wirkstoff in Contergan über die Nabelschnur in den Fetus ein und verhindert das Wachstum mancher Organe, unter anderem auch von Armen und Beinen. Weltweit wurden etwa 5 000 bis 10 000 Kinder durch Contergan geschädigt. Viele von ihnen leben heute noch mit schweren Behinderungen.

Eineiige Zwillinge gleichen einander wie ein Ei dem anderen. Sie sind aus einer einzigen befruchteten Eizelle entstanden. Eineiige Zwillinge haben das gleiche Erbgut und die gleichen Erbanlagen. Sie haben daher auch immer das gleiche Geschlecht.
Werden zur gleichen Zeit zwei reife Eizellen befruchtet, so entstehen zweieiige Zwillinge. Sie sind einander nicht ähnlicher als andere Geschwister auch und können auch unterschiedlichen Geschlechts sein.
Manchmal kommt es vor, dass sich bei eineiigen Zwillingen die beiden Feten nicht vollständig voneinander trennen. Sie bleiben dann teilweise miteinander verbunden und wachsen so zur vollen Größe heran. In manchen Fällen ist es möglich, solche siamesische Zwillinge durch eine Operation zu trennen. Oft besitzen siamesische Zwillinge aber wichtige Organe nur einmal. In diesem Fall können sie zwar gemeinsam leben, nach einer trennenden Operation stirbt jedoch eines der Kinder. Der Name „siamesische Zwillinge“ stammt von einem aus Siam (heute Thailand) stammenden Brüderpaar, welches im 19. Jh. durch Europa zog und unter diesem Titel auf zahlreichen Jahrmärkten auftrat.


AUFLÖSUNG S. 117
1. Wenn die Einnahme nicht innerhalb der nächsten 12 Stunden nachgeholt wird, muss ein Kondom verwendet werden.
2. Spermien finden auch durch Baumwollfasern ihren Weg.
3. Schon bei Stillpausen ab 4 Stunden kann es zum Eisprung kommen.
4. weil Spermien bis zu 7 Tage im Eileiter oder in der Gebärmutter überleben können
5. Wer ein benutztes Kondom umdreht, erreicht nur, dass die Samenzellen nun außen wirken.
6. Dies kann zum Abrutschen oder Reißen des Kondoms führen.
7. Schon vor dem Orgasmus können Samenzellen in die Scheide gelangen.
8. Nur wenn man sich nicht berührt und einen Sicherheitsabstand hält.
9. Nur Kondom und Femidom schützen.
10. Bei Erbrechen und Durchfall kann die Pille den Körper verlassen.



Kaiserschnitt oder Sectio Caesarea

Der Kaiserschnitt wird auch lateinisch „Sectio Caesare“ genannt. „Sectio“ bedeutet „Schnitt“ und „Cesario“ bedeutet „kaiserlich“. Im englischen Sprachraum heißt der Eingriff noch heute „Caesarean section“. Beim Kaiserschnitt werden die Bauchdecke und die Gebärmutter geöffnet und das Baby so herausgeholt. Bis in die Neuzeit verlief der Kaiserschnitt für Frauen immer tödlich. Deshalb wurde dieser chirurgische Eingriff nur dann gemacht, wenn eine normale Geburt nicht möglich war. Gründe dafür können ein zu enges Becken oder die Lage des Fetus sein. Heute ist dieser Eingriff ungefährlich.

… fragen sich viele Jugendliche. Die Pubertät ist auch eine Phase der sexuellen Orientierung. Das macht oft sehr unsicher. In dieser Zeit haben manche Jugendliche homosexuelle Kontakte. Nicht jeder Mensch, der als Jugendlicher gleichgeschlechtliche Kontakte hat, ist deswegen homosexuell. Die Ausrichtung der Gefühle klärt sich erst langsam.
• Jede Minute stecken sich weltweit 10 Menschen mit dem HI-Virus an.
Elisabeth Raith-Paula: Was ist los in meinem Körper. Alles uber Zyklus, Tage, Fruchtbarkeit. Verlag Pattloch, Munchen, 2008.
Dr. med. Esther Schoonbrood, Barbara Dobrick: Erklär mir die Liebe! Gefuhle, Körper, Sex. Woruber Frauen mit Mädchen sprechen sollten. Goldmann Verlag, Munchen, 2011.
Sylvia Schneider: Das Aufklärungsbuch. Erste Liebe, Mädchensachen, Jungensachen, Pubertät. Ravensburger Buchverlag, Ravensburg 2009.
• In Afrika sind 26,5 Millionen Menschen HIVpositiv.
• In Österreich infizieren sich täglich 1 bis 2 Menschen mit dem HI-Virus!
• Ein Tropfen Blut – verseucht mit Hepatitis B Viren – in einer Badewanne mit Wasser gefüllt, kann zu einer Infektion mit dem Virus führen. Hepatitisviren sind hoch infektiös und kommen sehr häufig vor!
Dir sind sicher schon Ähnlichkeiten zwischen Geschwistern oder anderen miteinander verwandten Personen aufgefallen. Besonders deutlich sind solche Gemeinsamkeiten wie gleiche Augenfarbe, Haarfarbe, Form des Mundes usw. bei eineiigen Zwillingen zu sehen. Es gibt aber auch sehr viele Merkmale, wie die Blutgruppe, die nicht äußerlich sichtbar sind. Diese müssen auf andere Art und Weise festgestellt werden. Alle Merkmale gemeinsam werden als Erscheinungsbild bezeichnet.
Welche Ähnlichkeiten gibt es in deiner Familie?

Zwillinge
Bei Tieren, Pflanzen und anderen Lebewesen werden Merkmale von den Eltern an ihre Nachkommen weitergegeben, also vererbt
Diese Tatsache ist den Menschen schon sehr früh aufgefallen. Einer der Ersten, der die Vererbung wissenschaftlich erforschte und seine Ergebnisse festhielt, war Gregor Mendel. Dieser pflanzte und untersuchte in rund 8 Jahren ca. 28 000 Erbsenpflanzen. Mendel kreuzte jene Pflanzen, die sich in bestimmten Merkmalen unterschieden. Dabei konnte er bei der Weitergabe der beobachteten Eigenschaft bestimmte Gesetzmäßigkeiten feststellen und schuf die Grundlage der Vererbungslehre.
So kreuzte Mendel Erbsenpflanzen mit gelben Schoten mit solchen die grüne Schoten hervorbringen. Dabei stellte er fest, dass die daraus entstehenden Erbsenpflanzen der 1. Tochtergeneration ausschließlich gelbe Schoten vorweisen. Wir wollen das mit gelben und grünen Erbsen darstellen.





Vererbung des Merkmals Erbsenfarbe von den Elternpflanzen/P auf die erste Tochtergeneration/F1
Elterngeneration P

1.Tochtergeneration F1
P – für Eltern („parents“) F – für Nachkommen (lat. filia = Tochter)
Welche gemeinsamen Merkmale nah verwandter Personen fallen dir sonst noch ein? Verfasse eine Liste!
Nun stellt sich die Frage: Wohin
ist die grüne Farbe „verschwunden“?
Erbanlagen befinden sich auf Chromosomen
Um das Vererben von Merkmalen verstehen zu können, musst du wissen, wie Lebewesen aufgebaut sind. Du weißt, dass alle Lebewesen aus Zellen bestehen. Die Information über Merkmale, die an die Nachkommen weitergegeben werden, nennt man Erbinformation oder DNA. Diese ist im Zellkern gespeichert. Zellen vervielfachen sich durch Teilung. Dabei teilt sich auch der Zellkern.
Erscheinungsbild: hier R feststellbare Merkmale eines Lebewesens
vererben/Vererbung: im biologischen Sinn Weitergabe von Merkmalen und Eigenschaften von der Elterngeneration auf die nachfolgende Generation.
kreuzen: miteinander zur Fortpflanzung bringen (Symbol X); hier Ausdruck der Pflanzenund Tierzucht
Gesetzmäßigkeiten: Regeln, die für bestimmte Verhältnisse immer wieder beobachtbar sind

Wer war Gregor Mendel?


Er war Ordenspriester und lebte von 1822 bis 1884 in der tschechischen Stadt Brno. Diese hieß damals Brünn und gehörte zu Österreich. Heute findet man in Brno noch ein Museum, das an das Werk Mendels erinnert.

Erbsenpflanze

Zellkern einer Küchenzwiebel 1000-fach vergrößert
Chromosom: Komplexe Struktur im Zellkern von Eukaryoten, die aus DNA und Proteinen besteht. Sie enthält genetische Informationen der Zelle.


Warum wird etwas „zusammengepackt“?
Unter dem Mikroskop sieht man bei starker Vergrößerung im Inneren von Zellkernen feine Muster. Bei diesen Mustern handelt es sich um Fäden, die Chromosomen genannt werden. Auf ihnen sind die Erbinformationen gespeichert
Vor der Zellteilung werden die Erbinformationen zunächst verdoppelt. Bevor sich der Zellkern teilen kann, müssen aber die Chromosomen verdichtet und „zusammengepackt“ werden. Im „zusammengepackten“ Zustand sind dann die Chromosomen eines Zellkerns im Lichtmikroskop sichtbar.
Bei der folgenden Kernteilung, der Mitose, werden die Chromosomen der Länge nach geteilt. Jede Hälfte der Chromosomen enthält alle Erbinformationen. Die beiden Hälften werden auf die beiden neu entstehenden Zellkerne aufgeteilt. Jeder der beiden Zellkerne enthält die gleichen Erbinformationen wie der ursprüngliche Kern.

Wenn du Informationen aus einem Plan ablesen willst, entfaltest du ihn, um ihn lesen zu können. Willst du ihn auf den Weg mitnehmen, faltest du ihn zusammen, weil er dann klein ist und gut transportiert werden kann.
Welchen Vorteil bringt das „Zusammenpacken“ bei der Teilung für die Chromosomen?
dominant: vorherrschend, überwiegend
rezessiv: zurückziehend

Bei diesen symbolischen Lebewesen ist die braune Farbe (D) dominant, die helle ist rezessiv (r). Beide Eltern sind reinerbig. Ihre Kinder sind braun, tragen aber beide Anlagen in ihrer Erbinformation (Dr).
Verdopplung der Erbinformation und Längsteilung der Chromosomen

Aufteilung der Chromosomenhälften auf die beiden neuen Zellkerne
Chromosomen kommen in unseren Körperzellen paarweise vor. Eine menschliche Körperzelle hat 23 Chromosomenpaare. 22 Chromosomen liegen bei Mann und Frau doppelt vor. Das 23. Chromosomenpaar besteht bei der Frau aus 2 gleichen XChromosomen, beim Mann aus einem X- und einem kleineren Y-Chromosom. Dieses Chromosomenpaar sind die Geschlechtschromosomen. Sie sind für das Geschlecht des Menschen verantwortlich.
MANN


FRAU


23 Chromosomenpaare beim Menschen
Die Erbanlagen für die Merkmale eines Lebewesens, auch Erbmerkmale genannt, liegen also – mit einer Ausnahme – immer in doppelter Ausführung vor. Bei den Geschlechtszellen eines Lebewesens, also den Ei- und Samenzellen, liegen die Chromosomen jedoch nicht als Paare, sondern einzeln vor.
Kommen wir nun auf das Beispiel mit der Farbe der Erbsen zurück. Beide Geschlechtszellen einer gelben Erbse haben die Anlage für die Farbe Gelb, die der grünen Erbse für die Farbe Grün. In der Elterngeneration liegt die Anlage also reinerbig vor. Kreuzt man nun diese beiden Pflanzen, haben die Zellen der Tochtergeneration auf einem Chromosom die Anlage für Gelb, auf dem anderen die für Grün. Da Gelb dominant ist, ist es sichtbar. Das Grün ist in den Erbinformationen zwar vorhanden, ist aber nicht im Erscheinungsbild feststellbar, es ist rezessiv
Aus den Beobachtungen Gregor Mendels lassen sich 3 Regeln ableiten.
1. Mendel-Regel: Die Uniformitätsregel
Diese Regel gilt bei der Kreuzung zweier reinerbiger Lebewesen, die sich in einem Merkmal unterscheiden. Dies wäre in unserem Beispiel die Farbe der Erbsen. Da die gelbe Farbe dominant ist, setzt sich diese Eigenschaft durch. Somit sehen die Nachkommen bezogen auf dieses Merkmal uniform aus. Sie sind aber in Bezug auf dieses Merkmal mischerbig, da sie jeweils ein Chromosom eines Elternteils mit der entsprechenden Erbanlage für gelb und grün erhalten haben. In der Abbildung sind die Erbanlagen für die Farbe (Erbbild) als G und g dargestellt. Die Elterngeneration ist bezüglich der Anlage reinerbig. (GG und gg).






P
Tochtergeneration F1
Vererbung des Merkmals Erbsenfarbe: Gelb = dominant (Großbuchstabe); Grün = rezessiv (Kleinbuchstabe)
2. Mendel-Regel: Die Spaltungsregel Gregor Mendel kreuzte die Pflanzen, die aus den gelben Erbsen der 1. Tochtergeneration hervorgingen untereinander.





uniform: gleich
Erbbild: alle im Zellkern gespeicherten Erbanlagen eines Lebewesens
Was sagt die Uniformitätsregel?
Die 1. Mendel-Regel heißt Uniformitätsregel, weil alle Nachkommen von reinerbigen Lebewesen in der 1. Generation uniform, also gleich aussehen.
Was sagt die Spaltungsregel?
Die 2. Mendel-Regel heißt Spaltungsregel, weil sich die Merkmale von Nachkommen von reinerbigen Lebewesen in der 2. Generation nach einem bestimmten Zahlenverhältnis aufspalten.

Vererbung der Farbe der Erbsensamen von der 1. zur 2. Tochtergeneration Er kam zu folgendem Ergebnis: Die „verschwundene“ grüne Farbe tauchte in der 2. Tochtergeneration wieder auf. Warum?
Bei der Kreuzung mischerbiger Vertreter der 1. Tochtergeneration können wieder zwei Chromosomen gleicher Erbanlage zusammen kommen. Es entstehen mischerbige und reinerbige Nachkommen. Alle Nachkommen mit Erbanlage des dominanten Merkmals (3 Kombinationsmöglichkeiten: GG, 2 x Gg) zeigen dieses. Nachkommen reinerbig im rezessiven (gg) jenes. Im Durchschnitt spaltet sich die Zahl der Nachkommen mit jeweiligem Merkmal im Verhältnis 3:1 auf.
Diese Regel gilt auch, wenn keine Eigenschaft dominant ist, sondern beide gleich stark wirken. Dabei spricht man von einem intermediären Vererbungsvorgang. Es findet eine Mischung des beobachteten Merkmals statt. Für das Erscheinungsbild gilt in der 2. Generation das Verhältnis 1:2:1. Ein Beispiel dafür ist die Farbe der Hühnerrasse Andalusier
Tochtergeneration
Erkläre folgende Situation: Zwei schwarzhaarige Eltern zeugen ein blondes Kind.
intermediär: in der Mitte, dazwischen
Andalusier: seltene spanische Hühnerrasse; aus der Mischung von schwarzen und weißen Hühnern entstehen blaugraue Tiere

P
Was sagt die Unabhängigkeitsregel?
Die 3. Mendel-Regel heißt Unabhängigkeitsregel, weil Erbanlagen unabhängig voneinander vererbt werden.
Formuliere eine Erklärung dafür, dass Enkelkinder manchmal ihren Großeltern ähnlicher sehen als ihren Eltern.
Pflanze mehrere Chili-Sorten an und bringe sie zur Blüte!
Notiere Merkmale der Pflanzen, die sie unterscheiden! Bestäube Blüten unterschiedlicher Sorten untereinander mit einem Wattestäbchen! Dokumentiere die Merkmale der entstehenden Früchte. Pflanze die Samen der Früchte ein und wiederhole alles mit der dritten Generation! Vergleiche deine Ergebnisse mit der Beschreibung der gekauften Sorten und erörtere sie!
Finde aus der Tabelle heraus, welcher Typ von Meerschweinchen in der 2. Tochtergeneration neu auftritt! Wie ist dieser neue Typ entstanden?

3. Mendel-Regel: Die Unabhängigkeitsregel
Die Unabhängigkeitsregel beschreibt den Vererbungsvorgang von zwei Merkmalen bei der Kreuzung reinerbiger Lebewesen und deren Nachkommen. Bei einem Meerschweinchen können das z. B. die Fellfarbe und die Fellart sein. Beide Merkmale werden in bestimmten Fällen, z. B. wenn sie auf unterschiedlichen Chromosomen liegen, unabhängig voneinander vererbt. In unserem Beispiel ist …
2 die Fellfarbe Schwarz dominant (S) und Weiß rezessiv (w)
2 die Fellart Kraushaar dominant (K) und Glatthaar rezessiv (g)
Wenn die Eltern in Bezug auf die beiden Merkmale reinerbig sind, sehen alle Nachkommen gleich aus.
Elterngeneration:
Alle Kinder der 1. Tochtergeneration sehen so aus:
Vererbung von zwei Merkmalen beim Meerschweinchen



Die Erbinformation ist in den Chromosomen im Zellkern als DNA gespeichert. Bei der Fortpflanzung kommt es zu einer Vermischung der Chromosomen beider Elternteile. Erbmerkmale können dominant oder rezessiv sein. Es gibt 3 Mendel-Regeln, die beschreiben, wie Merkmale vererbt werden.



In der Generation der Enkel sind 4 Typen von Meerschweinchen zu beobachten, wie du in dieser Abbildung sehen kannst.


Vererbung von zwei Merkmalen beim Meerschweinchen in der 2. Tochtergeneration
Die Merkmale wurden bei diesen Meerschweinchen unabhängig voneinander vererbt, das durchschnittliche Zahlenverhältnis ist im Idealfall 9 : 3 : 3 : 1.
Auch menschliche Eltern geben ihre Erbanlagen an ihre Kinder weiter. Bei Menschen gibt es ebenfalls dominante und rezessive Merkmale. So sind die Blutgruppen A und B dominant gegenüber der Blutgruppe 0. Beim Menschen ist es schwierig, vorherzusagen, welche Eigenschaften Kinder haben werden. Einerseits sind die rezessiven Erbanlagen nicht direkt sichtbar. Andererseits sind viele Eigenschaften des Menschen eine Kombination aus ererbten Anlagen und Erlerntem.

Nun geht‘s los – Aufgaben für schlaue Köpfe!
1) Wie funktioniert noch einmal die Vererbung? Vervollständige zuerst die Sätze! Dann schreibe die richtigen Buchstaben in die Kreise bzw. unter die Grafiken! Zum Schluss bemale diese in der richtigen Farbe! %%%
Der Vererbungsvorgang von den Erbsen-Eltern zur 1. Generation wird von der ____ Mendel-Regel beschrieben, sie heißt ____________________________________, weil
Der Vererbungsvorgang von den Erbsen der 1. zur 2. Generation wird von der _____ MendelRegel beschrieben, sie heißt _____________________________, weil______________________________________________________________________
Du hast folgende Informationen: Die Pflanzen sind reinerbig, die Farbe Lila ist dominant.







2. Generation / F2



1. Generation / F1 alle Erbsenblüten sehen so aus:
Erscheinungsbild



























Nun geht‘s los – Aufgaben für schlaue Köpfe!
2) Lies zunächst den Informationstext und erfülle danach die Aufgaben! %%%

Für einige Hunderassen wie den Deutschen Schäferhund hat man herausgefunden, dass die Länge der Haare durch ein Merkmalpaar verursacht wird, wobei Kurzhaar (K) gegenüber Langhaar (L) dominant ist.


a) Können die Welpen zweier mischerbiger Hundeeltern langhaarig sein?

Ja Nein

b) In einer Hundezucht siehst du die beiden Eltern eines Wurfs von Welpen. Vom Züchter erfährst du, dass beide mischerbig bezüglich der Länge ihrer Haare sind. Wie werden die Welpen aussehen? Schreibe die richtige Buchstabenkombination in die Kästchen und ziehe Pfeile vom jeweils richtigen Buchstaben-Kästchen zum zutreffenden äußeren Erscheinungsbild!








3) Für Expertinnen/Experten – Finde eine Erklärung zu folgenden Begriffen! %% Fachbegriff

Die ausreichende Versorgung mit Lebensmitteln, die von guter Qualität sind, ist für uns kein Problem. Wir ernähren uns von pflanzlichen und tierischen Produkten. Diese stammen meist von Nutztieren und Kulturpflanzen, die wildlebende Vorfahren hatten. Dabei handelte es sich um Organismen, die ohne menschliches Zutun an geeigneten Orten in der freien Natur lebten oder immer noch leben.
So ist etwa der Wildkohl die Stammform vieler heutiger Gemüsekohlarten. Die vielen Apfelsorten, die du im Supermarkt kaufen kannst, stammen vermutlich alle vom HolzApfel ab.
Aber wie ist es möglich, dass aus einer so unscheinbaren Pflanze wie dem Wildkohl so unterschiedliche Gemüsesorten wie Karfiol oder Kohlrabi hervorgegangen sind? Wie können aus dem nicht besonders wohlschmeckenden Holzapfel so viele Apfelsorten entstehen, die sich alle in Form, Farbe, Geschmack und Geruch unterscheiden?
Wildkohl und die Kohlgemüsesorten Karfiol, Weißkraut, Romanesco, Rotkraut, Kohlrabi






Wie du schon weißt, verändern sich Tier- und Pflanzenarten durch Mutation und Selektion. Zufällig entstandene kleine Veränderungen bringen einzelnen Lebewesen Vorteile. Diese geben die Veränderungen an ihre Nachkommen weiter. Wenn sie dadurch Überlebensvorteile haben, können sie sich stärker vermehren als ihre Artgenossen, die diese Veränderung nicht haben. Wir sprechen in einem solchen Fall von Selektionsvorteil
Beim Züchten nützt der Mensch die natürlichen Veränderungen. So wählt er z. B. aus einer großen Zahl von Apfelbäumen den aus, dessen Früchte am vorteilhaftesten erscheinen. Von den Bäumen, die aus den Samen dieses Baumes wachsen, wählt er wieder die aus seiner Sicht besten aus. Mit einer gewissen Wahrscheinlichkeit verbessert sich so die Qualität der Früchte mit jeder Generation. Züchtung durch Kreuzung
Beim Kreuzen sorgt der Mensch dafür, dass sich zwei bestimmte Lebewesen fortpflanzen. Manche der Nachkommen haben die für den Menschen günstigen Eigenschaften beider Eltern. Diese werden dann für die weitere Zucht ausgewählt. Der Mensch greift so in die natürliche Selektion ein. Er fördert damit gezielt Eigenschaften von Lebewesen, die ihm selbst Vorteile verschaffen. Diese Veränderung von Eigenschaften geht nur sehr langsam vor sich. Seit vielen tausend Jahren wurden so Lebewesen durch Züchtung und Kreuzung gezielt verändert. So sind unsere heutigen Nutztiere und Nutzpflanzen entstanden.
Zähle im Supermarkt wie viele Sorten verschiedener Arten von Obst und Gemüse jeweils angeboten werden! Stelle das Ergebnis grafisch dar! Recherchiere die Zuchtgeschichte dreier Obstsorten!
Stammform: in freier Natur lebende Wildform; natürlicher Vorfahr der vom Menschen genutzten Lebewesen

Holz-Apfel: eine der Stammformen des kultivierten Apfels

Jonagold-Äpfel: Diese Apfelsorte ist durch Kreuzung der Sorten Golden Delicious und Jonathan entstanden.




Sortenerhaltung in Österreich

Die Arche Noah bei Langenlois in Schiltern (NÖ), setzt sich seit über 20 Jahren für die Erhaltung alter Pflanzensorten ein.

Kärntner Brillenschaf: eine alte Schafrasse

Grauvieh in Gebirgsregion
Überlegt gemeinsam! Warum ist es wichtig, dass Tierrassen und Pflanzensorten erhalten bleiben?

Das wichtigste Ziel der Zucht ist es, möglichst viele Nahrungsmittel für den Menschen zu produzieren. Feldfrüchte wie Weizen sollen einen möglichst großen Ertrag pro ha erbringen, Kühe sollen möglichst viel Milch geben und Schweine möglichst viel Fleisch liefern. Gleichzeitig sollen sie möglichst unempfindlich gegen Schädlinge und Krankheiten und möglichst einfach zu halten sein.
Schon vor vielen tausend Jahren haben die Menschen begonnen, Tiere und Pflanzen zu züchten. Dadurch stiegen die Erträge der Landwirtschaft und konnten so eine immer größere Zahl an Menschen ernähren. Dies ermöglichte die Entstehung der ersten Städte und Hochkulturen.
Heute ist die Weltbevölkerung so groß wie nie zuvor und wächst weiter. Um in relativ kurzer Zeit möglichst große Gewinne zu erzielen, muss der Ertrag von Nutzpflanzen und Nutztieren immer höher werden. So wurde die Milchleistung von Kühen gegenüber dem natürlichen Milchbedarf eines Kalbes enorm gesteigert.
Für die Ernährung eines Kalbes reichen ca. 8 l Milch pro Tag.

8l


50l
Hochleistungskühe geben 50 l Milch pro Tag.


Für die Tiere und Pflanzen bringt die Zucht keineswegs Vorteile. Ohne die ständige Hilfe des Menschen könnten sie heute nicht überleben. Sie verlieren ihre natürliche Widerstandskraft gegen Krankheiten oder Schädlinge, sodass Tiere mit Impfstoffen und Pflanzen mit Pestiziden behandelt werden müssen. Diese Stoffe kommen über die Produkte aus Tieren und Pflanzen in die menschliche Nahrung. Auch immer größere Mengen an vom Menschen hergestellten Futter- und Düngemitteln sollen zur Ertragssteigerung beitragen, obwohl ihre Produktion große Probleme (enormer Landverbrauch, Klimaerwärmung) nach sich zieht.
Gefahren und Chancen der Tier- und Pflanzenzucht



Beim Züchten werden einzelne Lebewesen mit gewünschten Merkmalen zur Fortpflanzung ausgewählt. Beim Kreuzen kommt es zur Durchmischung der Erbanlagen zweier Lebewesen mit unterschiedlichen Merkmalen. Alle heutigen Nutztiere und Nutzpflanzen stammen von wild lebenden Arten ab.


Durch die Zucht haben sich Tiere und Pflanzen stark verändert. Die durch die Domestikation bedingten Änderungen sind Anpassungen an die Lebensbedingungen in Menschenhand. Es ist sehr wichtig, dass die Tiere dabei nicht überfordert werden und sich wohl fühlen können. Leider ist das aber häufig nicht der Fall!
Jahrtausendlange Zucht in verschiedenen Weltregionen und für unterschiedliche Nutzung hat eine große Sorten- und Rassenvielfalt und damit einen großen Vorrat unterschiedlichster Erbinformationen hervorgebracht. S o entstanden im Gebirge leichtere Rinderrassen, die sich im steilen Gelände besser fortbewegen können. Heute werden jedoch nur noch wenige Pflanzensorten und Nutztierrassen weitergezüchtet, die dann weltweit zum Einsatz kommen.
Es besteht daher die Gefahr, dass wertvolles Erbmaterial verloren geht. Mittlerweile gibt es mehrere Einrichtungen, die sich um den Erhalt der biologischen Vielfalt bei Nutztieren und Nutzpflanzen bemühen.
Schon seit vielen tausend Jahren macht sich der Mensch den Stoffwechsel von Mikroorganismen zunutze und lässt sie für sich arbeiten. Beim Vergären von Traubensaft zu Wein bauen Pilze den Zucker zu Alkohol um und in einem weiteren Schritt verwandeln Bakterien den Wein zu Essig.
Früher wusste man allerdings nicht, dass Mikroorganismen für die Gärung verantwortlich sind. Erst seit Ende des 19. Jh. wurden vor allem Bakterien und Pilze genauer untersucht und erforscht. Die Wissenschafter/innen fanden zahlreiche Lebewesen, die zur Produktion von chemischen Verbindungen eingesetzt werden können, die anders nicht herstellbar sind. So wird das Antibiotikum Penicillin mit Hilfe von Pilzen erzeugt.
Im Stoffwechsel von Lebewesen spielen
Enzyme eine wichtige Rolle. So sorgt beispielsweise das Enzym Lab, welches in den Zellen im Magen von Kälbern gebildet wird, für die Gerinnung der Milch. Dieses Enzym wird aber auch dazu verwendet, um zahlreiche Milchprodukte wie Topfen oder einige Käsesorten herzustellen.

Heute werden mit Hilfe von Enzymen und Mikroorganismen Lebensmittel und Medikamente in großen Fabriken erzeugt. Alle Verfahren, die Lebewesen, deren Zellen oder Enzyme nutzen, werden unter dem Begriff Biotechnologie zusammengefasst.


Biotechnologie und Umweltschutz

Biotechnologische Verfahren kommen vielfach zum Einsatz, z.B. bei der Herstellung von Lebensmitteln und Medikamenten und im Umweltschutz. Auch bei der Abwasserreinigung in Kläranlagen, beim Abbau von Erdöl, der Erzeugung von Biogas usw. leisten Mikroorganismen wertvolle Dienste.
Veredelungsstelle eines Apfelbaums

Edelreis: abgeschnittener junger Trieb einer edlen Sorte
Klonen bezeichnet die Erzeugung einer Kopie eines Lebewesens mit exakt gleichen Erbanlagen. Die Nachkommen ungeschlechtlicher Vermehrung sind beispielsweise Klone.
Bei Pflanzen wird Klonen schon seit langem angewendet. Beim Pflanzenveredeln gibt es eine Methode, bei der ein sogenanntes Edelreis auf eine widerstandsfähige Unterlage gepflanzt wird. Aus dem Stamm wächst dann eine komplett neue Pflanze, deren Krone ein Klon der vom Menschen erwünschten Sorte ist. Der untere Teil des Stammes und die Wurzeln stammen von einer anderen Pflanze. Auf diese Weise können beispielsweise beliebig viele Bäume hergestellt werden, die alle genau die gleiche Apfelsorte tragen.
Bei Tieren ist das Klonen komplizierter. Um eine identische Kopie zu bekommen wird einer Zelle des Tiers der Zellkern, also seine gesamtes Erbinformation, entnommen. Dieser Zellkern wird in eine unbefruchtete Eizelle, deren Zellkern entnommen wurde, eingesetzt. Durch elektrische oder chemische Anregung wird das natürliche Entwicklungsprogramm der Eizelle aktiviert und sie beginnt sich zu teilen. Aus den Zellen des entstehenden Embryos werden entweder bestimmte Gewebearten gezüchtet oder der Embryo wird einer Ammenmutter eingesetzt, die den Klon des ursprünglichen Tiers austrägt.
Mit einer extrem spitzen hohlen Nadel wird der Zellkern entfernt.

Unterlage: hier bewurzeltes Stück einer widerstandsfähigen nicht wertvollen Pflanze
Klon: erbgleiche Kopie
Welches geklonte Tier wurde weltberühmt? Das erste geklonte Säugetier war 1996 das Schaf Dolly. Seitdem wurden viele andere Tiere geklont. Klonen von Menschen ist aber gesetzlich verboten.


Ammenmutter: Tierweibchen, in dem sich Nachkommen entwickeln, die nicht aus ihren eigenen Eizellen entstanden sind
identisch: völlig gleich
Gen: Teil eines Chromosoms, der die Information über ein bestimmtes Erbmerkmal enthält


Bei den Methoden, die du bisher kennengelernt hast, nimmt der Mensch keine direkten Eingriffe in das Erbmaterial innerhalb der Zellkerne vor. Die Chromosomen werden also nicht verändert.
Gentechnik in Österreich
Das österreichische Gentechnikgesetz ist eines der strengsten weltweit. Es regelt genau, unter welchen Bedingungen gentechnisch veränderte Lebewesen eingesetzt und die aus ihnen gewonnenen Nahrungsmittel gekennzeichnet werden müssen und verkauft werden dürfen. Der österreichische Handel hat sich aber verpflichtet, keine kennzeichnungspflichtigen Lebensmittel zu verkaufen. Bis heute dürfen in Österreich gentechnisch veränderte Pflanzen in der Landwirtschaft nicht angebaut werden.
Ein Teilgebiet der Biotechnologie ist die Gentechnik. Diese beschäftigt sich mit der Veränderung der Erbanlagen eines Lebewesens:
2 Veränderung einzelner Gene

2 Übertragung eines Gens von einem Lebewesen auf ein Lebewesen einer anderen Art
Nachbau eines Kaninchens, auf welches das Gen einer Leuchtqualle übertragen wurde


Finde heraus was CRISPR Cas9 ist und weshalb es in der Biotechnologie für großes Aufsehen gesorgt hat!

Die Biotechnologie nutzt den Stoffwechsel von Mikroorganismen zur Herstellung von chemischen Verbindungen und Medikamenten. Beim Klonen werden Kopien von Lebewesen erzeugt. Bei der Gentechnik wird das Erbmaterial von Lebewesen verändert



Durch die Gentechnik sollen Lebewesen so verändert werden, dass sie bestimmte Merkmale erhalten, die sie von Natur aus nicht haben. Eine Übertragung von Genen ist deshalb möglich, weil die Bausteine, aus denen Gene und Chromosomen aufgebaut sind, bei allen Lebewesen gleich sind. Lebewesen, die auf diese Weise künstlich geschaffen werden, nennt man gentechnisch veränderte Organismen (GVO)
Die Anwendungsmöglichkeiten der Gentechnik und ihre Arbeitsweisen sind sehr zahlreich. Je nach ihren Anwendungsgebieten unterscheidet man folgende große Teilbereiche der Gentechnik:
Anwendung in der Medizin – ROTE GENTECHNIK : Häufig sind defekte Gene für Krankheiten verantwortlich. Ein wichtiges Ziel der genetischen Forschung ist es, solche Gene entweder gezielt zu verändern oder „Reparaturgene“ in die Körperzellen einzubringen. Durch das Verändern von Genen von Mikroorganismen oder Pflanzen können diese Wirkstoffe produzieren, die als Medikamente geeignet sind. Eines der ersten Medikamente, die auf diese Weise hergestellt wurden, ist das Insulin zur Behandlung der Zuckerkrankheit (Diabetes).

Insulinpumpe zur automatischen Abgabe der jeweils benötigten Insulinmenge in das Blut
Anwendung in der Landwirtschaft und bei Lebensmitteln – GRÜNE GENTECHNIK: Gene von landwirtschaftlich genutzten Pflanzen wie Soja, Mais oder Baumwolle werden gezielt verändert, um an die Umweltbedingungen besser angepasst zu sein oder um mehr Ertrag zu liefern.

Manche Pflanzen können so auch selbst ein natürliches Schädlingsbekämpfungsmittel produzieren. Lebensmittel, die aus solchen Pflanzen hergestellt werden, müssen in der EU gekennzeichnet werden.
Kennzeichnung von Lebensmitteln, die ohne Gentechnik hergestellt wurden


1 2 3 4 5 6
1) Lies zuerst den Informationstext! Dann benenne die Gemüse im Einkaufskorb richtig und stelle fest, welche Teile der Wildpflanze zu welchem Gemüse passen! Setze zum Schluss die Buchstaben neben den Die Buchstaben ergeben von oben nach unten gelesen einen Teil einer Pflanze. %%%

Durch künstliche Auslese züchteten die Menschen aus der Ausgangsform Wildkohl viele verschiedene Gemüse.
2 Aus dem fleischig verdickten Blütenstand wurden Karfiol, Brokkoli und Romanesco.
2 Aus den Blättern entwickelten sich Kohl und Kraut.
2 Der stark verdickte Stängel (Sprossachse) wurde zum Kohlrabi.
2 Die Kohlsprossen entstanden aus Knospen in den Blattachseln.

Dieses Gemüse heißt _________________, es entstand aus dem _______________________, der Wildform des Gemüsekohls (Buchstabe _____).
Der ____________________ entspricht dem stark verdickten __________________ (Buchstabe _____).
Das ______________ gibt es in verschiedenen Farbvarianten. Es ist wie der hier nicht abgebildete Kohl aus den ____________________ entstanden (Buchstabe _____).
Bei den _________________________ handelt es sich um besonders große ___________________ (Buchstabe _____).
Hier handelt es sich um ___________________, der ebenfalls aus dem ___________________________ hervorgegangen ist (Buchstabe _____).
Dieses relativ neu entstandene Gemüse heißt ______________________. Es ist dem Karfiol und Brokkoli ähnlich (Buchstabe _____).
LÖSUNGSWORT: . . . . . .

2) Du hast verschiedene Produkte eingekauft. Finde nun heraus, aus welchen Organismen der jeweilige Hauptbestandteil stammt, und notiere dein Ergebnis in der mittleren Spalte der Tabelle! Setze dann die jeweilige Wildform aus dem Textkasten in die rechte Spalte ein! %%
Gekauftes Produkt







Pflanzlicher / Tierischer Produzent
Wildform des pflanzlichen oder tierischen Organismus

Urrind © Mexikanische Teosinte © Gemeine Rübe © Wildkartoffel © Wildschaf © Wildgräser © Bankivahuhn

3) ACHTUNG: Gefahren durch die Grüne Gentechnik! 3 dieser 6 Aussagen sind falsch. Finde diese heraus und kreuze sie an!%%%
Gentechnisch veränderte Pflanzen können gegenüber ihren Wildformen einen Vorteil besitzen, sodass sie diese vollständig verdrängen.
Es ist nicht klar, ob gentechnisch veränderte Pflanzen Auswirkungen auf die Gesundheit von Menschen und Tieren, die sich von ihnen ernähren, haben.
Gentechnisch veränderte Pflanzen in der Landwirtschaft beeinflussen das Klima auf der Erde.
Lebensmittel, die aus gentechnisch veränderten Pflanzen hergestellt werden, schmecken nach Plastik.
Der Wind, aber auch Bienen, tragen die Pollen von gentechnisch veränderten Pflanzen über weite Strecken und bewirken so eine unkontrollierte Ausbreitung.
Wird das Saatgut von gentechnisch veränderten Pflanzen auf Felder ausgebracht, schädigt es das Grundwasser.






Der Wolf in deinem Haustier
Weltweit gibt es etwa 800 verschiedene Hunderassen. Pudel, Schäferhund oder Chihuahua, jede Hunderasse sieht anders aus. Aber alle haben eines gemeinsam: Sie alle stammen vom Wolf ab.


Vor etwa 14 000 Jahren schlossen unsere Vorfahren mit wildlebenden Wölfen Freundschaft. Über die Jahrtausende hinweg suchten sie immer wieder jene Tiere zur weiteren Fortpflanzung aus, welche die für sie günstigsten Eigenschaften hatten. So wurden aus dem Wolf Tiere gezüchtet, die für die Jagd geeignet waren, oder solche, die die besten Eigenschaften als Wachhunde hatten. Andere Hunde wurden einfach nur deswegen gezüchtet, weil sie schön waren.
So entstanden die zahlreichen Hunderassen. Bei manchen von ihnen würde man heute kaum noch vermuten, dass ein Wolf in ihnen steckt.











Das meiste Fleisch, das auf der Welt verzehrt wird, stammt von Schweinen. Der Spruch „Fit statt Fett“ hat aber auch Auswirkungen auf diese wichtigen Fleischlieferanten. Statt der früher beliebten Rassen mit dicker Speckschicht, den „Fettschweinen“, wurden ab den 1950-er Jahren „Fleischschweine“ gezüchtet. Diese Tiere wurden länger und dünner und es wurde sogar ein Rippenpaar dazu gezüchtet.


Die Herbstzeitlose ist giftig. Ihr Gift hat jedoch auch eine wichtige Funktion in der Pflanzenzucht. Es bewirkt, dass nach der Zellteilung die einzelnen Zellkerne mehr als jeweils 2 Chromosomen haben. Für manche Pflanzen bringt das Vorteile. Sie werden größer, kräftiger und ertragreicher. Viele unserer Kulturpflanzen wie zahlreiche Getreidesorten, die Zuckerrübe, aber auch viele Obstsorten wie die Erdbeeren weisen so einen mehrfachen Chromosomensatz auf.


Innerhalb des Lebens eines heute 60-Jährigen hat sich die Weltbevölkerung verdoppelt!
Immer mehr Menschen bevölkern unseren Planeten. Zur Herstellung von 1 kg Rindfleisch werden über 10 kg Getreide benötigt. Damit alle Menschen ernährt werden können, muss der weltweite Fleischkonsum gesenkt werden, da eine Vergrößerung der landwirtschaftlichen Fläche nicht möglich ist. Die auf den Feldern angebauten Pflanzen müssen sicheren Ertrag bringen. Nur gezielte Zucht, die moderne Methoden mit Altbewährtem (robuste, der jeweiligen Region angepasste Sorten) vereint, kann die Ernährung der Menschheit für die Zukunft sichern.
Schon vor 4 000 Jahren wurden Pflanzen händisch bestäubt. Dieses Relief zeigt assyrische Priester, die einen Bestäubungskult an Dattelpalmen durchführen.


So vielfältig die Lebewesen dieser Welt auch aussehen, ihre Merkmale werden durch dieselben „Buchstaben“ ATCG beschrieben. Allerdings handelt es sich dabei nicht um Buchstaben, sondern um 4 unterschiedliche chemische Verbindungen, die Nukleinbasen. Jeweils zwei dieser Basen liegen sich gegenüber und bilden ein Basenpaar. Viele solche Basenpaare sind wie auf einer Kette nebeneinander angeordnet und bilden die Desoxyribonnukleinsäure (DNS oder DNA). Diese Kette ist schraubenförmig gewunden und bildet die typische Struktur unseres Erbmaterials: Die Doppelschraube oder Doppelhelix. Mehrere tausend solcher Basenpaare bilden ein Gen, das den Code zur Herstellung eines Proteins liefert. Ein Chromosom enthält viele solcher Gene. Der Mensch besitzt etwa 100 000 Gene, insgesamt finden sich im Kern jeder menschlichen Zelle etwa 3 Mrd. Basenpaare. Gemeinsam beschreiben sie den Menschen.


hDas Humangenomprojekt war ein internationales Forschungsprojekt unter Beteiligung von mehr als 1 000 Wissenschafter/innen. Es startete 1990 mit dem Ziel, herauszufinden, wie die menschliche Erbsubstanz im Zellkern genau aussieht. Es endete im Jahr 2003 mit der Entschlüsselung von 92% der menschlichen DNA (seit 2021 100%). Seitdem weiß man, wie die Gene beim Menschen angeordnet sind. Die Ergebnisse dieses Projektes machen es möglich, mittels Gentherapie Krankheiten zu erkennen oder sogar zu heilen, deren Ursachen angeboren sind.
Hauptsache süß!


Glucose-, Fructosesirup, Stärkezucker usw. = Süßstoffe aus der Biotechnologie
Der süße Geschmack, den wir so gerne haben, kommt nicht immer vom Zucker der Zuckerrübe oder des Zuckerrohrs. Wenn Traubenzucker (Glucose) oder Fruchtzucker (Fructose) zum Süßen eingesetzt wird, kommt dieser meist aber nicht von Trauben oder Früchten. Sehr oft werden diese Stoffe großtechnisch mit biotechnologischen Verfahren unter der Mithilfe von Mikroorganismen hergestellt. Häufig ist Maisstärke das Ausgangsprodukt.
• Fast die Hälfte aller Schweine wird in China gehalten.
• Von den etwa 400 000 Pflanzenarten, die es auf der Welt gibt, werden vom Menschen nur etwa 660 in der Landwirtschaft genutzt.
• Würde man sämtliche Basenpaare im Kern einer menschlichen Zelle aneinanderreihen, hätten sie eine Länge von mehr als 2 m.
• Die Erbinformation des Südamerikanischen Lungenfisches ist etwa 20-mal so groß wie die des Menschen.
• Die Erbinformation mancher Viren besteht nur aus etwa 50 000 Basenpaaren.
Methoden der Gentechnik werden auch in der Verbrechensbekämpfung angewandt. Da die Struktur der Gene bei jedem Menschen anders ist, können Tatortspuren, wie Blut und Haare, eindeutig zugeordnet oder Verdächtige ausgeschlossen werden.
Kennzeichnungspflicht bei
Lebensmitteln
Nicht jedes Lebensmittel, das Bestandteile aus gentechnisch veränderten Lebewesen enthält, muss gekennzeichnet werden. Machen diese Bestandteile weniger als 0,9 % aus, ist keine Kennzeichnung vorgeschrieben. Selbst wenn man im Supermarkt aufpasst, kann man sich also nicht sicher sein, dass man auch tatsächlich „gentechnikfrei“ einkauft.

Gerhard Staguhn: Die Suche nach dem Bauplan des Lebens: Evolutionstheorie, Gentechnik, Gehirnforschung. Deutscher Taschenbuch Verlag, Munchen, 2005.
Roland Kunzel, Margit Lessing: Gregors Erbsen oder die erstaunlichen Entdeckungen des Augustinermönchs Gregor Mendel. Projekte Verlag, Halle, 2010.
Claudia Eberhard-Metzger: WAS IST WAS, Band 111: Die Gene. Tessloff Verlag, 2001.
Durch das enorme Wachstum der Erdbevölkerung und durch die Abwanderung der Menschen aus dem ländlichen Raum in die Städte wächst die Zahl der Großstädte Gab es um 1870 erst 10 Städte, die 1 Mio. oder mehr Einwohnerinnen und Einwohner hatten, so waren es um 1980 schon 193. Im Jahr 2023 gab es bereits ca. 500 Millionenstädte. Die größten dieser Städte sind Tokio mit ca. 37 Mio. Einwohnerinnen und Einwohnern und Delhi mit ca. 32 Mio. Einwohnerinnen und Einwohnern.
Wien ist mit ca. 2 Mio. Einwohnerinnen und Einwohnern die einzige Millionenstadt Österreichs. In Österreich leben beinahe 40 % der Einwohnerinnen und Einwohner in einer Stadt. Weltweit jedoch wohnt mehr als die Hälfte aller Menschen in Städten.

Wien und die Donau

Die Stadt als Ökosystem
Städte sind von Menschen geschaffene und stark beeinflusste Lebensräume. Man spricht deshalb von einem künstlichen Ökosystem, in dem es deutlich mehr Konsumenten als Produzenten gibt.
Frischluft
kühl, feucht und rein
Frischwasser aus Quellen und Grundwasser
Nahrung aus der Landwirtschaft
Energie
Elekrizität, Gas, Öl, Kohle
Waren, Güter, Rohstoffe aus der Industrie
Abluft


Mexico City bei Tag und bei Nacht

Zur Erinnerung!

Ein Ökosystem besteht aus einem Lebensraum (Biotop) und den Lebewesen, die in diesem Lebensraum leben (Biozönose).

warm und trocken, verunreinigt durch Abgase und Staub
Abwasser verunreinigt durch Ausscheidungen, Reinigungsmittel usw.
Abwärme
Hausheizungen, Verkehr, Müllverbrennung
Abfälle
Metalle, Glas, Papier, Hausmüll, Kunststoffe, Küchenabfälle, Giftstoffe/Sondermüll
Österreichische Städte haben eine hohe Lebensqualität. Die Müllabfuhr, die Trinkwasserversorgung, das Abwassersystem und das Verkehrsnetz sind gut durchdacht und funktionieren vorbildlich. In manchen Städten der Dritten Welt ist das aber nicht so. Arme Menschen ziehen dort in die Stadt, um Arbeit zu finden. Oft leben sie in selbst gebauten Hütten aus Materialien, die sie im Abfall finden. Es gibt weder sauberes Trinkwasser für sie noch Kanäle oder eine Müllentsorgung. Diese Stadtteile, meistens am Rand von Millionenstädten, bezeichnet man als Slums

Der Lebensraum wird von abiotischen Faktoren wie Luft, Wasser und Boden bestimmt. Die Lebewesen unterscheiden sich durch ihre Aufgaben, die sie in einem Lebensraum erfüllen. Sie sind Produzenten, Konsumenten oder Destruenten.

Slums in Mexico City
Dritte Welt: arme Länder; werden oft auch als „Entwicklungsländer“ bezeichnet
Überlege dir, welche Vorteile und Nachteile das Leben in der Stadt hat – nicht nur für Menschen, sondern auch für Tiere und Pflanzen! Beschreibe deine Gedanken in eigenen Worten!
Was bedeutet es für einen Lebensraum, dass es mehr Konsumenten als Produzenten gibt? Wie kann so ein Lebensraum funktionieren? Diskutiere mit Menschen in deinem Umfeld!
Betrachte Städte in Satellitenbilddarstellungen auf Google-Maps oder einem vergleichbaren Dienst! Versuche die Stadtzonen auszumachen!

Industriebetriebe

Einkaufszentren verlocken zum Einkaufen.
Einkaufen wird immer mehr zur Freizeitbeschäftigung. Was denkst du darüber?
Nach der unterschiedlichen Bebauungsdichte kann man Städte in verschiedene Zonen gliedern.
Die Innenstadt ist meist dicht verbaut. Es gibt viele Geschäfte und Büros. Hier arbeiten sehr viele Menschen. Als Wohnbereich wird die Innenstadt weniger genutzt, denn hohe Grundstückskosten machen Wohnungen hier besonders teuer. Meistens gibt es nur wenige Grünflächen. Die Straßen sind asphaltiert, Plätze sind mit Beton oder Asphalt bedeckt.
Der Wohnbereich schließt sich an die Innenstadt an. Hier finden wir besonders viele Häuserblöcke.
Manche dieser Häuserblöcke haben begrünte Innenhöfe. Oft gibt es Parkanlagen.
Immer mehr Menschen – darunter viele Familien – ziehen es vor, am Stadtrand im Grünen zu wohnen.
Hier findet man Reihenhäuser, häufig mit Grünflächen, und Wohnhäuser mit größeren Gärten.
Immer häufiger entstehen rund um Städte sogenannte Satellitenstädte. Hier wohnen und leben so viele Menschen, dass man von einer eigenen Stadt sprechen kann.
Oft sind in diesen Satellitenstädten aber auch Industriebetriebe und Einkaufszentren angesiedelt.











Welche Lebensbedingungen herrschen im Lebensraum Stadt vor?
Die vielen Häuser und die versiegelten Straßen, Wege und Plätze sowie die wenigen Pflanzen in manchen Stadtzentren beeinflussen das Klima . Tagsüber heizen sich diese Flächen durch die Sonneneinstrahlung auf und geben nachts die Wärme nur langsam ab. Viele Stadtzentren kühlen daher im Sommer kaum ab.
Durch die Bodenversiegelung kann der Boden bei Regen kein Wasser mehr aufnehmen. Regenwasser fließt in die Kanalisation und geht damit an der Oberfläche verloren. Eine langsame Wasserverdunstung ist nicht möglich.

geringe Luftfeuchtigkeit aufgrund von geringer Verdunstung


ungünstige Bedingungen für Bäume
niedriger Grundwasserspiegel und geringe Bodenfeuchtigkeit durch geringe Versickerung
rascher Abfluss großer Wassermengen bei Regen kann zu Überschwemmungen führen
Bodernversiegelung und ihre Auswirkungen
Die Luft in der Stadt ist trockener und wärmer als in der Umgebung. Es kommt zum Backofeneffekt. Dieser lässt die warmen Luftmassen aufsteigen, während aus der Umgebung kühlere Luft angesaugt wird. Diese erwärmt sich auf ihrem Weg und wird mit Schmutzteilchen und Schadstoffen von Autoabgasen, der Industrie, dem Gewerbe und aus den Haushalten angereichert.
Über der Stadt entsteht so eine Staub- oder Dunstglocke.

versiegelt: hier R wasserundurchlässig, weil der Boden verbaut, betoniert oder asphaltiert ist
Betrachte die Abbildung und besprich mit deiner Sitznachbarin/deinem Sitznachbarn, welche Folgen die Bodenversiegelung in Städten hat!


Backofeneffekt: Staubglocke über einer Stadt

Was ist die Mercer-Studie? Die amerikanische Firma Mercer untersucht jährlich die Lebensqualität in Städten auf der ganzen Welt. Sie gibt in einer Liste an, welche Städte eine hohe und welche eine niedrige Lebensqualität haben. Laut der Mercer-Studie von 2024 wurde Wien seit 2009 11-mal in Folge unter den Millionenstädten als die Stadt mit der höchsten Lebensqualität ausgewiesen. Zürich (Schweiz) liegt an zweiter und Auckland (Neuseeland) an dritter Stelle, gefolgt von Kopenhagen (Dänemark) auf dem vierten Platz. Genf (Schweiz) besetzt den fünften Platz.
Überlege! Was könnten die Gründe dafür sein, dass Wien eine so hohe Lebensqualität hat?
Recherchiere zum Begriff „Schwammstadt“ und vergleiche mit deinem Heimatort!

Dunstglocke über einer Stadt
Ruß: Kohlenstaub, der bei Verbrennungsvorgängen entsteht
kondensieren: Übergehen eines Stoffes vom gasförmigen in den flüssigen Aggregatzustand


Was bedeutet „Smog“?
In Städten gibt es zahlreiche Verbrennungsvorgänge. So wird in Fahrzeugmotoren Treibstoff verbrannt und vor allem im Winter werden Wohnungen mit Öl, Gas und Kohle geheizt. Zusätzlich geben Industriebetriebe Abgase an die Luft ab. Dadurch werden große Mengen an Ruß, Schadstoffen und Wasserdampf freigesetzt.

Das Wort „Smog“ setzt sich aus dem englischen Wort für Rauch („smoke“) und dem englischen Wort für Nebel („fog“) zusammen.

Besuche
https://aqicn.org/map/world/ de/ und sieh dir die Luftqualität in deinem Heimatort an! Suche auf der Weltkarte Orte schlechter Luftqualität! Recherchiere, woher die Belastung stammt! Was kannst du selbst tun, damit das Klima in deiner Stadt besser wird? Denke an Dinge, die du im Alltag verändern oder mit anderen gemeinsam machen kannst!
Fließgewässer: z. B. Flüsse, Bäche
Stillgewässer: Seen, Teiche


Bei ungünstiger Wetterlage (z. B. Windstille) bleiben diese Verbrennungsrückstände sowie Staub längere Zeit über der Stadt. Der Wasserdampf setzt sich an Staubteilchen fest und kondensiert. Es entsteht Nebel (Gemisch aus gasförmigen und flüssigen Anteilen). Durch die vielen Abgase gibt es in Städten im Winter fast doppelt so viele Nebeltage wie auf dem Land. Das Wasser im Nebel bildet gemeinsam mit den Verbrennungsrückständen in der Luft gesundheitsschädliche Stoffe, die den Smog bilden.
Für Menschen mit Erkrankungen der Atmungsorgane wie Asthma oder Bronchitis stellt Smog ein besonders großes Gesundheitsrisiko dar, da die im Smog enthaltenen Stoffe die Atemwege reizen.
Was kann man für ein besseres Klima in den Städten tun?



Die Stadt ist ein von Menschen geschaffener und beeinflusster Lebensraum. Die Bodenversiegelung, der Backofeneffekt und der Smog sind Klimaprobleme der Großstädte. Durch den Erhalt von Grünanlagen und den Ausbau von öffentlichen Verkehrsmitteln kann man diesen Problemen entgegenwirken.


Pflanzen tragen zur Luftverbesserung bei. Daher ist es für die Klimaverbesserung einer Stadt wichtig, Grünflächen wie Wälder, Parkanlagen oder Gärten zu erhalten oder neu zu schaffen.
Grün- und Wasserflächen in Wien
Um Abgase und die Entstehung von Staub zu vermindern, müssen die Bewohner dazu gebracht werden, weniger mit dem Auto zu fahren. Dazu müssen öffentliche Verkehrsmittel wie U-Bahnen, Straßenbahnen und Busse ausgebaut werden.
Unter Kaltluftentstehungsgebieten versteht man Wiesen, Felder, Brachland und Gärten in den Städten oder in ihrer unmittelbaren Umgebung. Auch diese müssen erhalten bleiben. Ebenso wirkt sich der Ausbau von Parks und größeren Freiflächen auf das Stadtklima sehr positiv aus. Auch Wasserflächen wie Fließ- und Stillgewässer müssen erhalten bleiben.
Um die Bodenversiegelung zu verringern, können in Parkanlagen und Höfen Kieswege statt asphaltierter Wege angelegt werden. Da Kieswege Bodenfläche frei geben, kann das Regenwasser besser gespeichert werden und langsam verdunsten. So kommt es auch zur Verbesserung des Stadtklimas.

1) Stadt oder Land? Was sagen junge Leute über den Lebensraum, in dem sie leben? Ordne die folgenden Aussagen richtig zu! %%







A. Im Verhältnis zur Fläche gibt es hier relativ wenige Menschen. © B. Das Verkehrsnetz ist gut ausgebaut. © C. Arbeit findest du hier fast nur in der Landwirtschaft. © D. Die Unterhaltungsmöglichkeiten sind super. © E. Die Verkehrswege sind mitunter schlecht ausgebaut, dafür gibt es wenig Verkehr. © F. Bei uns findest du in den Geschäften alles, was du willst. © G. Die medizinische Versorgung ist nicht optimal, der praktische Arzt ist weit weg. © H. Die Lärmbelästigung kann mitunter enorm sein, besonders in der Nacht. © I. Hier ist alles dicht bebaut, es gibt wenige Grünflächen. © J. Du findest genügend unverbaute Flächen.

2) Was versteht man unter einem künstlichen Ökosystem? Erkläre diesen Begriff! %%%
Nun geht‘s los – Aufgaben für schlaue Köpfe!

3) Was kannst du zusammen mit deiner Familie für ein besseres Klima in den Städten tun? Trenne die Wörter richtig ab, dann erhältst du 5 Hinweise! Aber ACHTUNG, ein Tipp ist falsch! Schreibe nur die 4 richtigen Tipps auf das Sideboard! %%
DIEHAUSEIGENEHEIZUNGSANLAGEREGELMÄSSIGÜBERPRÜFENLASSENEINEGUTEHAUS ISOLIERUNGERHÖHTDIEHEIZKOSTENEINHYBRIDODERELEKTROAUTOFAHRENFÜRKURZE WEGSTRECKENIMMERDASFAHRRADBENUTZENODERZUFUSSGEHENFÜRLÄNGERESTRE CKENDIESTRASSENBAHNDENBUSODERDIEEISENBAHNBENUTZEN

4) Welche 6 Fachausdrücke kannst du hier herauslesen? Setze sie aus den Silben richtig zusammen und schreib sie auf die Zeilen unter das Bild! %%%

5) Erkläre nun diese Fachausdrücke deiner Sitznachbarin/deinem Sitznachbarn! Lass dann diese/diesen erraten, um welchen Fachausdruck es sich handelt! %%%%
Zahlreiche Tierarten finden mittlerweile in der Stadt ihren Lebensraum. Kirchen und ihre Türme, aber auch Hochhäuser, Geschäfte, Straßenschluchten, Gewerbegebiete und Einkaufsmeilen werden von Tieren besiedelt. Hier leben Kulturfolger wie Tauben, Amseln, Eichhörnchen, Haussperlinge, Hausmäuse, Haus- und Wanderratten. Diese finden in den Abfällen der Menschen Nahrung und in den Nischen, Türmen und Mauern Schlaf- und Nistplätze.

Stadttauben

Haussperlinge
Eichhörnchen

Rotfuchs

Tiere, die üblicherweise den Menschen meiden, finden in den Städten ihren Lebensraum. Dies sind Füchse, Marder, Waschbären, Mauersegler, Saatkrähen, Sperber und zahlreiche Insekten.
Anpassung an den Lebensraum Stadt
Um in einer Großstadt überleben zu können, haben viele Tierarten eigene Strategien entwickelt. Tiere …
2 erschließen für sich neue Lebensräume: So leben Asseln in Kellerräumen und Wanderratten besiedeln Kanäle.
2 passen sich an das veränderte Nahrungsangebot an: Viele Tiere finden in der Stadt ihre Nahrung in Mülltonnen und Komposthaufen. So jagen die Turmfalken in der Stadt Vögel anstatt Mäuse.
2 verlieren ihre Scheu vor Menschen: Sie lassen sich füttern und fressen den Menschen sogar aus der Hand, wie das bei Eichhörnchen oder auch Kohlmeisen oder Stockenten immer wieder zu sehen ist.

2 finden Unterschlupf und Nahrung: Sie leben in Grünanlagen, aber auch auf Dachböden und in Kellern, in die sie durch offen stehende Dachluken und Kellerfenster gelangen. Turmfalken beziehen auch verlassene Taubennester.
2 vermehren sich stark: In der Stadt fehlen häufig ihre natürlichen Fressfeinde. Ein typisches Beispiel dafür sind die Tauben. In vielen Städten gibt es ein Fütterungsverbot für diese Tiere und andere Maßnahmen, um den Bestand zu verringern.

Nistmöglichkeiten der Vögel in der Stadt. Oben: Silbermöwe, unten: Wanderdrossel.
Strategie: hier R Methode, Vorgehensweise

Wanderratte

Waschbär

Turmfalken
Exkremente: Stoffwechselausscheidungen
Moder: Vermorschtes, Verfaultes
Wohnungen und Häuser als Lebensraum für Insekten
Ohne es zu wollen, schaffen Menschen für eine große Zahl von Tieren Lebensräume in ihren Wohnungen oder Häusern. Manche dieser unerwünschten Mitbewohner zerstören Holz, befallen Lebensmittel oder gefährden die Gesundheit der Menschen, da sie Krankheiten übertragen oder Allergien hervorrufen können.
Dachböden bieten dem Hausbock, dem Speckkäfer und der Kornmotte günstige Lebensbedingungen. Die Larven der Hausböcke leben vor allem im Holz und zerstören dadurch Dachstühle. Ein Weibchen der Kornmotten legt bis zu 100 Eier in gelagerte Vorräte.

Kornmotte

Hausbock

KLIMA AUF DACHBÖDEN:
Dieses ist im Sommer meist heiß und trocken, im Winter aber kalt und trocken. Als Nahrung dienen den hier lebenden Tieren Holz, Textilien und gelagerte Vorräte.


Silberfischchen

Speckkäfer

In der Küche findet z. B. die nachtaktive Küchenschabe genügend Nahrung. Mit dem stinkenden Saft aus ihrer Stinkdrüse macht sie Lebensmittel ungenießber.
Silberfischchen bevorzugen feuchte, dunkle Orte wie das Bad.
Bettwanze



Küchenschabe
Kellerasseln


Kleidermotte

Wanzen und Flöhe haben einen abgeplatteten Körper. Sie sind Außenschmarotzer, die ihren Wirt (Mensch und seine Haustiere wie Hund, Katze, Vogel usw.) an der Wärmeausstrahlung erkennen. Mit ihrem Rüssel saugen sie Blut. Die Larven der Kleidermotte fressen Stofffasern und zerstören so Stoffe.

Großer Totengräber
Finde heraus, warum der Speckkäfer in Wohnungen und Häusern unerwünscht ist!


Tiere in der Stadt nützen unterschiedliche Lebensräume. Sie haben sich gut angepasst Insekten in den Wohnungen der Menschen sind unerwünscht und schwierig zu bekämpfen
KLIMA IM WOHNBEREICH:
Dieses ist im Sommer und Winter trocken und warm. Als Nahrung dienen den hier lebenden Tieren Holz, Textilien und Lebensmittel. Aber auch Blutsauger finden hier Nahrung.

KLIMA IM KELLER:



Dieses ist im Sommer und Winter kühl und feucht. Tiere finden hier modernde Stoffe verschiedenster Art, aber auch Lebensmittelvorräte.

Der Große Totengräber lebt von Abfällen, faulenden Pflanzen, altem Holz, Aas, toten Insekten und Exkrementen. Da er im Keller keine Fressfeinde hat, vermehrt er sich besonders gut. Auch Kellerasseln finden hier einen guten Lebensraum.

Insekten in Wohnung und Haus
Insekten in Wohnung und Haus zu bekämpfen ist nicht immer leicht. Hier einige Tipps:
2 Reinlichkeit ist das beste Mittel, um sie zu bekämpfen.
2 Lebensmittel sollten nicht offen herumstehen, sondern sicher verschlossen in geeigneten Gefäßen aufbewahrt werden.
2 Speisereste sollten immer weggeräumt werden, sonst locken sie Insekten an.

1) Lies diesen Informationstext aus dem Internet zuerst aufmerksam durch! Dann markiere wichtige Wörter und beantworte im Anschluss die gestellten Fragen in ganzen Sätzen! %%%
Das Leben in der Stadt gleicht nicht dem Leben auf dem Land – und das hinterlässt Spuren. Die Tiere reagieren auf ihre Umgebung und verändern sich. Leben sie dicht neben dem Menschen, verlieren sie ihre natürliche Scheu. Für die zweite Generation ist eine Rückkehr in die Wildnis oft kaum mehr möglich. Die Tiere kennen nur noch das Leben in der Stadt und würden in anderer Umgebung mit ihren natürlichen Fressfeinden nicht überleben. Es gibt Füchse, die es sich in Parkanlagen heimelig gemacht haben und ihr Revier nicht mehr verlassen. Würde man sie betäuben und in die Wildnis bringen, würden sie wieder versuchen, in die Stadt zu gelangen.


Auch Vögel verändern ihr Verhalten: Kohlmeisen und Nachtigallen singen in der Stadt lauter und schriller, wie Vogelkundler herausgefunden haben. Sie vermuten, dass die Tiere das tun, um über den Stadtlärm hinwegzusingen. Manche Rotkehlchen werden nachtaktiv, um den Kontakt mit Menschen zu vermeiden. Stare und Amseln zwitschern plötzlich Handymelodien. Ob sich Stadttiere in Zukunft noch mit ihren Artgenossen in der Wildnis vermehren können, darüber sind sich Wissenschaftler/innen nicht einig. Vogelkundler/innen aber prognostizieren (=sagen vorher) langfristig die Entstehung neuer Arten, die sich auf das Leben in der Stadt spezialisiert haben.
Quelle:http://www.planet-wissen.de/natur_technik/tier_und_mensch/tiere_der_stadt/index.jsp (04.01.2014)
a) Welches Verhalten zeigen manche Tiere in der Stadt gegenüber den Menschen?
b) Überlege! Welche Ursachen kann dieses veränderte Verhalten haben?
c) Wie verändern Vögel ihren Gesang in der Stadt?
d) Welche Gründe vermuten Ornithologinnen/Ornithologen in diesem Verhalten?
e) Wenn du selber schon interessante Beobachtungen im Zusammenhang mit Tieren in der Stadt gemacht hast, dann beschreibe sie hier kurz!

2) Was ist hier zu lesen? Entschlüssle die Strategien, welche Tiere entwickelt haben, um sich dem Lebensraum in der Stadt anzupassen! Schreibe die Sätze auf und nenne zu jedem Satz ein Tier als Beispiel! %
TIdRdPASSdNSICHDdMVdRÄNDdRTdNNAHRUNGSANGdBOTAN
Tier:

TImRmVmRMmHRmNSICHSTARK
Tier:

TItRttRSCHLItSStNFÜRSICHNtUtLtBtNSRÄUMt
Tier:

3) Wer bin ich und wie lebe ich? Erstelle Steckbriefe zu diesen Tieren! %%

Name des Tieres:
Lebensraum:
Nahrung:
Schaden:
Wer bin ich?




Name des Tieres:


Lebensraum:
Nahrung:
Schaden:
Name des Tieres:
Lebensraum:
Nahrung:
Schaden:
4) Für Expertinnen/Experten – Beantworte diese Frage! %% Warum sind die oben abgebildeten Insekten in menschlichen Unterkünften unerwünscht?
Pflanzen tragen zur Verbesserung des Klimas einer Stadt wesentlich bei. Bäume in Parkanlagen und an Straßenrändern spenden Schatten und erhöhen gleichzeitig die Qualität der Luft. Sie verdunsten Wasser, erhöhen so die Luftfeuchtigkeit und tragen zur Kühlung bei. Blumenbeete in Parkanlagen, in Hinterhöfen oder auf Balkonen verbessern das Klima. Pflanzen wie Efeu und Wilder Wein ranken sich auf großen Wandflächen und wirken als natürliches Isoliermaterial. Sie verbessern ebenfalls das Klima auf den Straßen und sogar in den Wohnungen.
bieten Raum für Erholung.
verbessern den Luftaustausch.
schwächen den Temperaturanstieg ab.
tragen zum Lärmschutz und zur Lärmdämmung bei.

vermindern Nebel und Dunst.
bieten Lebensraum für Pflanzen und Tiere.
reduzieren Kohlenstoffdioxid und produzieren Sauerstoff.
erhöhen die Luftfeuchtigkeit.
filtern Staub und Abgase.
Klimaverbessernde Wirkung durch Bäume, Grünflächen, Hecken
Parkanlagen können verschieden gestaltet sein. Hier einige Beispiele:
Zierparkanlagen: Diese brauchen sehr viel Pflege. Man findet sie meist in der Umgebung von bedeutenden Gebäuden wie Burgen, Schlössern oder Kirchen. Hier werden Blumen gepflanzt, Ziersträucher gesetzt und der Rasen wird häufig geschnitten. Nicht immer sind diese Parks öffentlich zugänglich, denn sie wurden oft als besonderer Garten für ein besonderes Gebäude angelegt.
Stadtparks: Diese haben eine andere Aufgabe. Sie sind als naher Erholungsraum für die Stadtbevölkerung gedacht. Oft stehen hier alte Bäume und Sitzbänke laden zum Ausruhen ein. Die Rasenflächen dürfen meist als Spiel- oder Liegewiese genutzt werden. Hier gibt es Tiere, die nicht scheu sind und sich an die Menschen gewöhnt haben. Tauben, Spatzen, Eichhörnchen und Wasservögel in Stadtteichen lassen sich von den Menschen nur zu gerne mit Futter versorgen.
Stadtwälder: Manche Städte haben den Vorteil, dass sie von Wald umgeben sind oder Parkanlagen mit besonders vielen Bäumen haben. In diesen Stadtwäldern herrscht mitunter eine besondere Artenvielfalt.
isolieren: abdichten

Alte Friedhöfe: Diese haben oft einen alten Baumbestand und eine vielfältige Pflanzenwelt. Durch die Ruhe, die dort herrscht, sind sie ideale Lebensräume für viele verschiedene Tierarten.
Kleingärten und Brachflächen: Dazu zählen verwilderte Gärten, aufgelassene Bahngleise oder Baulücken. Diese sind grüne Inseln in großen Städten, in denen man viele trockenheit- und wärmeliebende Tierarten findet.
Schlosspark Schönbrunn in Wien
Betrachte diese Abbildung und besprich mit deiner Sitznachbarin/deinem Sitznachbarn, welche wichtigen Aufgaben Pflanzen im Lebensraum Stadt haben!

Parkanlage

Friedhof mit Nebelkrähe

Pflanze auf einem Dach

Gras zwischen Straßenpflaster

Viele Pflanzen breiten sich entlang von Bahndämmen in die Stadt aus.

Pflanzen tragen zur Verbesserung des Großstadtklimas bei.

Durch Luftverschmutzung, Bodenverdichtung, Streusalz und mechanische Beschädigungen sind sie besonders gefährdet.


Bäume in der Stadt
In der Stadt sind Bäume vielen negativen Umwelteinflüssen ausgesetzt.
Ursachen für das Baumsterben
Durch mechanische Beschädigungen der Bäume wie durch Autofahrerinnen/ Autofahrer, das Einritzen von Zeichen oder das Anbringen von Verkehrszeichen und Plakaten können Pilze und Bakterien, aber auch Insekten leichter in den Stamm eindringen und den Baum schädigen.
Streusalz, das verwendet wird, um das Eis auf Straßen und Gehsteigen aufzutauen, wird über die Wurzeln aufgenommen und stört den Wasserhaushalt des Baumes.
Betonierte Wege und asphaltierte Straßen dichten den Boden ab. Außerdem wird bei der Errichtung von Gebäuden oder dem Bauen von Straßen der Boden sehr stark verdichtet. Dadurch wird das Wachstum der Baumwurzeln erschwert und die Wurzeln werden nicht oder nur unzureichend mit Wasser und Sauerstoff versorgt.
Schadstoffe in der Luft zerstören die Schutzschicht der Blätter und schädigen die Spaltöffnungen. Der Gasaustausch wird dadurch behindert.
Ebereschen, Platanen und Robinien halten diese negativen Einflüsse recht gut aus. Andere Bäume weisen oft schwere Schäden auf.
Pflanzen als Überlebenskünstler an extremen Standorten Um überleben zu können, müssen manche Pflanzen besonders gut angepasst sein. Man findet sie in Mauerritzen, auf Hausdächern und sogar zwischen Pflastersteinen. Oft sind sie sehr kleinwüchsig, damit sie das geringe Platzangebot nutzen können. Sie können besonders viel Wasser speichern oder machen sich den mineralstoffreichen Schutt auf Baustellen, unbebauten Grundstücken oder Bahndämmen zu Nutze.

Pflanze an einer Mauer

1) Vervollständige den Plan! Im Zentrum liegt dein Schulhaus! Zeichne nun Bäume, Sträucher, Gärten, Parkanlagen – also das Grün der Umgebung – in diesen Plan ein! % Vielleicht kannst du auch feststellen, welche Baumarten und Sträucher in der Schulumgebung wachsen!


2) Was gibt es zur Umgebung deiner Schule zu sagen? Schreibe deine Meinung! %%%
3) Hast du Vorschläge, was man in der Schulumgebung noch verbessern könnte? Vielleicht hast du Ideen, die sich leicht verwirklichen lassen! Schreibe deine Vorschläge hier auf! %%%
Nun geht‘s los – Aufgaben für schlaue Köpfe!

4) Wie verbessern Pflanzen das Stadtklima? Finde mindestens 5 Beispiele und schreibe diese in die Kästchen! %














5) Für Biologieexpertinnen/-experten – Löse dieses Kreuzworträtsel! Bringe dann die rot umrandeten Buchstaben in die richtige Reihenfolge, so erhältst du ein Lösungswort! %%
senkrecht:

1. Baum, der widerstandsfähig gegen negative Einflüsse ist
2. Es stört den Wasserhaushalt der Pflanze.
3. Es wird durch Pflanzen in der Stadt verbessert.
waagrecht:


LÖSUNGSWORT:


4. Dadurch bekommen die Wurzeln zu wenig Sauerstoff und Wasser.
5. Sie zerstören die Schutzschicht der Blätter.

Österreichs Städte bieten eine hohe Lebensqualität!


Das Umfrageinstitut Sora ermittelte 2023, dass 8 von 10 der befragten Österreicher/innen der Meinung waren, dass die Stadt, in der sie leben, eine hohe Lebensqualität aufweist. Besonders zufrieden waren die Befragten mit den kulturellen Angeboten sowie mit der Sauberkeit der Städte.

Die größten Zehn in Österreich! Einwohnerzahl Stand 2023
1.

5.
6. Klagenfurt
7. Villach
8. Wels
9. St. Pölten
10. Dornbirn

Ein ganz besonderer Fall, wie sich Wildtiere an das Leben in der Stadt anpassen, wurde aus der englischen Stadt Bristol bekannt. Eine Füchsin hatte sich in einem dreistöckigen Wohnhaus einquartiert. Jede Nacht schlüpfte sie durch die Katzenklappe, huschte durch das Wohnzimmer in die Küche und verschwand in einem Loch im Fußboden hinter dem Kühlschrank. Die Katze des Hauses hatte sich so an die Füchsin gewöhnt, dass sie einfach weiterschlief. Entdeckt wurde die Füchsin erst, als sie eines Nachts mit einem der menschlichen Hausbewohner zusammentraf. Als das Tier nach zweiwöchiger Jagd nicht eingefangen werden konnte, ließ man es im Haus wohnen. Nachdem die Füchsin 5 Junge zur Welt gebracht hatte, beobachtete sogar ein Biologe der Universität Cambridge, wie die Fuchswelpen im Lebensraum Großstadt aufwuchsen.
Wien: Der Zentralfriedhof, der zum östlichen Grüngürtel Wiens zählt, ist Heimat vieler Tiere. Wenn seine Tore kurz vor Einbruch der Dunkelheit geschlossen werden und keine Besucherinnen und Besucher mehr die Ruhe stört, zeigen sich plötzlich Hasen, Fasane, Eichhörnchen, Waldohreulen und Igel. Auch Nachtigallen, Turmfalken, Feldhamster, Marder und Frösche haben hier einen idealen Lebensraum gefunden. Die größten lebenden tierischen Bewohner im Areal des alten jüdischen Friedhofs sind jedoch ein Rudel von ca. 20 Rehen. Sie finden dort die nötige Ruhe und viele Grünpflanzen als Futterquelle.


Warum Steinmarder in Motorräume von abgestellten Fahrzeugen einbrechen und dort Kabel, Gummischläuche und Dämmmatten zerbeißen, ist sogar Wissenschafter/innen ein Rätsel. Normalerweise sind diese weichen Materialien keine Nahrung für Steinmarder und Unterschlupf finden sie eher auf Dachböden. Der Schaden aber, den Marder verursachen, kann immens sein. Laut ÖAMTC (Österreichischer Automobil Motor und Touring Club) gibt es aber Mittel und Wege, um diese kleinen Störenfriede aus dem Motorraum zu verbannen.
2 Setzen Sie Ultraschallgeräte ein, denn die Schwallwellen sind für den Marder unangenehm!
2 Lassen Sie Ihre Zünd- und andere Elektrokabel mit Hartgummi ummanteln!
2 Verwenden Sie professionelle Duftstoffe und tragen Sie diese in regelmäßigen Abständen auf.
Der Erfolg von Hundehaaren, WC-Steinen, Urin (von Mensch oder Hund), Maschendraht oder tickenden Weckern im Motorraum darf hingegen in Zweifel gestellt werden.



Schadstoffe aus Autoabgasen, Industrie und von Hausbränden können auch beim Menschen schwere Schäden hervorrufen.
Kohlenwasserstoffe aus unverbrannten
Treibstoffen sind krebserregend, Blei schädigt das Blut und Cadmium kann
Nierenschäden hervorrufen. Ebenso schädigen Schwefeldioxid, Ozon und Stickstoffoxide die Atemwege.

Sie sind überall!

Wien: Oft verschmutzt Hundekot Gehsteige und Straßen. Hundebesitzer/innen in der Stadt sind dazu verpflichtet, den Kot ihrer Lieblinge zu entfernen. Seit 2006 erinnert in Wien ein kleiner Terrier auf Schildern die Hundebesitzer daran, „ein Sackerl fürs Gackerl“ mitzunehmen. Die meisten Schilder verschwanden aber schon bald nach ihrem Aufstellen, sodass ein Jahr später 30 000 neue Wiesenstecker wieder aufgestellt werden mussten. Wer den Kot seines Hundes nicht entfernt, muss in Wien sogar eine Strafe von 36 € in Kauf nehmen. Aber auch anderer Müll wird häufig gedankenlos auf Straßen und Gehsteigen „verloren“. Alle diese Menschen vergessen anscheinend, dass Müllentsorgung nicht nur ein schöneres Stadtbild garantiert, sondern auch Krankheiten verhindert.


Überall, wo es Menschen gibt, findet man auch Ratten. Früher reisten sie an Bord von Schiffen als „blinde Passagiere“ von Hafen zu Hafen und verbreiteten sich so auch auf kleinen Inseln. Dort bedrohten sie oft die heimische Tierwelt, da sie die Eier der Vögel und kleine Wirbeltiere fraßen. Ratten können sich besonders leicht an eine neue Umgebung anpassen. In den Städten finden sie sehr günstige Lebensbedingungen: Sie ernähren sich von Abfällen und leben in den Kellern von Häusern, aber auch in der Kanalisation. Ratten sind aber auch die Überträger von zahlreichen Krankheiten. So überträgt der Rattenfloh die Pest, die im Mittelalter zahlreiche Todesopfer gefordert hat. In den meisten Städten wird mit Gift gegen die Ratten vorgegangen, um ihre Anzahl zumindest gering zu halten. Doch ganz los wird man sie trotzdem nicht, denn mitunter haben sich die Ratten bereits an das Gift gewöhnt, sodass es nicht mehr wirkt. Rattengift ist auch für den Menschen sehr gefährlich. Daher muss durch Warnschilder darauf hingewiesen werden, dass an einem Ort Gift gegen Ratten ausgelegt worden ist. Oft findet man solche Schilder in den Kellern von Häusern. Deshalb darf man dort keine Haustiere frei herumlaufen lassen und muss ganz besonders auf kleine Kinder achten, damit sie nicht mit dem Gift in Berührung kommen.


Viele Menschen produzieren viel Müll, doch einiges an Müll kann vermieden werden, wenn Menschen bewusst darauf achten. Glasflaschen ersetzen Dosen, Stoffsackerl ersparen beim Einkauf Plastiksackerl. Ebenso kann durch Recycling Altpapier, Glas, Kunststoff und Metall wieder verwertet werden. Mülltrennung ist daher unbedingt notwendig. In Müllverbrennungsanlagen werden etwa 2/3 des Restmülls verbrannt. Die dabei entstehende Wärme wird in Form von Fernwärme zum Teil zum Heizen von Wohnungen und öffentlichen Gebäuden wie Schulen verwendet. Die Verbrennungsrückstände wandern auf Mülldeponien. Hier muss sichergestellt sein, dass Schadstoffe weder in die Luft noch in den Boden gelangen können. Mülldeponien sind kostspielig und brauchen viel Platz. Müllvermeidung ist die einzige Antwort darauf.




Buchtipps
Philippe Godard von Knesebeck: Die großen Städte der Welt fur Kinder erzählt. Knesebeck GmbH & CO. Verlag KG, 2009.
Josef Reichholf, Stadtnatur: Eine neue Heimat fur Tiere und Pflanzen – Ein Naturfuhrer durch die Stadt. oekom Verlag, 2007.
Anke M. Leitzgen, Lisa Rienermann: Entdecke deine Stadt – Stadtsafari fur Kinder. Beltz Verlag, 2011.
Manfred Bergau, Horst Muller, Wilfried Probst: Pflanzen Bestimmungsbuch –Streifzuge durch Dorf und Stadt. Klett Verlag, 2000.
Vom Weltall aus betrachtet, erscheint unsere Erde als blauer Planet. 71%, also 361 Millionen Quadratkilometer der Erdoberfläche, sind mit Wasser bedeckt. Wir unterscheiden drei Ozeane: den Pazifik, den Atlantik und den Indischen Ozean, der auch Indik genannt wird. Dazu kommen noch rund um die Pole der Arktische Ozean und das Südpolarmeer. Temperatur, Salzgehalt und Nährstoffangebot sind in den Ozeanen unterschiedlich.
Arktischer Ozean
Pazifischer Ozean
Arktischer Ozean

Pazifischer Ozean Atlantischer Ozean Indischer Ozean

Faktoren, die das Leben im Meer beeinflussen
SALZGEHALT : Das Meerwasser ist Salzwasser mit einer durchschnittlichen Salzkonzentration von 3,5%. Ein Liter Meerwasser enthält 35 g Salz.
MEERESSTRÖMUNGEN: Wasserwirbel im Oberflächenwasser transportieren warmes Wasser vom Äquator weg nach Norden und nach Süden. Abgekühlt kommt es mit der Tiefenströmung aus dem Norden und Süden zum Äquator zurück. Die warmen und kalten Meeresströmungen beeinflussen das Klima des Festlandes und wirken sich auf das Leben in den Ozeanen aus.


Blauer Planet Erde

Verteilung Festland – Meer

Woher kommt das Salz im Meer?



: Tiefenströmungen : Oberflächenströmungen

Punkte: Orte, an denen das abgekühlte Wasser absinkt
Im Atlantik gibt es den Golfstrom. Dieser ist eine warme, rasch fließende Meeresströmung. Der Humboldtstrom hingegen ist eine kalte Meeresströmung an der Westküste Südamerikas.


Seit Milliarden von Jahren wird durch Erosion Salz aus der Erdkruste herausgelöst und ins Meer gespült. Bei der Wasserverdunstung bleibt dann das Salz im Meer zurück.
Salzwasser ist schwerer als Süßwasser und friert erst bei –1,91 °C. Unglaublich, aber wahr –nur 2,6% des gesamten Wassers auf unserer Erde ist Süßwasser!


Meereswellen
pflanzliches Plankton: vor allem einzellige Algen
tierisches Plankton: tierische Einzeller, frei schwebende
Krebstiere, Kleinkrebse (Krill) und Larven vieler
Wasserbewohner wie etwa Fischen

SONNENLICHT: Licht wird durch Wasser abgeschwächt und dringt nur bis zu einer gewissen Tiefe vor. Deshalb ist es unter 200 m im Meer fast vollständig dunkel. Rote Lichtanteile werden dabei stärker abgeschwächt als blaue. Die tieferen Zonen des Meeres sind noch weitgehend unerforscht. Erst in den letzten Jahrzehnten hat man erkannt, dass es auch hier artenreiche Lebensräume gibt. Im klaren Wasser ist für Pflanzen Fotosynthese bis zu einer Tiefe von 100 m möglich, bei trübem Wasser oft nur bis 3 m.
WASSERTEMPERATUR: Das Wasser speichert Wärme besser als die Luft. Die Wassertemperatur unterliegt daher geringeren Schwankungen. Zwischen Winter und Sommer, aber auch zwischen Tag und Nacht sind die Temperaturunterschiede im Wasser wesentlich geringer. Selbst bei Schlechtwetter schwankt die Wassertemperatur kaum.
WASSERBEWEGUNGEN : Die Gezeiten, auch Ebbe und Flut genannt, entstehen durch das Zusammenwirken der Anziehungskräfte von Erde, Mond und Sonne und durch die Fliehkraft aufgrund der Erddrehung. Meereswellen entstehen durch den Wind, manchmal auch durch Seebeben.
WASSERDRUCK : Der Wasserdruck nimmt mit der Tiefe zu. Lebewesen der Tiefsee müssen einen erheblichen Wasserdruck aushalten können.
BODENBESCHAFFENHEIT : Diese ist für die Lebewesen im Meer von Bedeutung. Felsen, Sand oder Schlamm schaffen unterschiedliche Lebensbedingungen.
KÜSTENFORMEN: Die Form der Küste hat Einfluss auf das Leben im Meer.
Nahrungsketten und Nahrungspyramiden im Meer
Auch im Lebensraum Meer finden wir am Beginn jeder Nahrungsbeziehung die Produzenten. Dies sind in diesem Lebensraum das pflanzliche Plankton (Phytoplankton). Es erzeugt durch Fotosynthese Nährstoffe und gibt dabei Sauerstoff ab. Ein großer Teil des Sauerstoffs unserer Atmosphäre stammt aus dem Meer. Pflanzliches Plankton ist Nahrung für tierisches Plankton (Zooplankton). Pflanzliches und tierisches Plankton wird von Krill und Muscheln gefressen, die wiederum Nahrung für Bartenwale, Fische und Schnecken sind. Diese Tiere bilden die Nahrungsgrundlage für größere Fische, Säuger (z. B. Robben) aber auch den Menschen.

Das Meer bedeckt 71% der Erdoberfläche und ist das größte Ökosystem der Erde. Folgende Faktoren beeinflussen das Leben im Meer:


Salzkonzentration
Gezeiten
Meeresströmungen
Licht
Wassertemperatur
Wasserdruck

Bodenbeschaffenheit
Küstenformen


Nahrungsketten
Abgestorbene Pflanzen und Tiere sowie deren Ausscheidungen werden von Bakterien in Mineralstoffe umgewandelt. Diese stehen pflanzlichem Plankton wieder zur Verfügung, um Nährstoffe aufzubauen.

1) Blauer Planeten-Quiz – Beantworte folgende Fragen! Wie viele Punkte schaffst du? %%%%

a) Woher kommt der Name „Blauer Planet“? 1/
b) Wie heißen die Namen der 3 großen Ozeane? 3/
Ozean
Ozean

c) Was kannst du aus dieser Grafik herauslesen? 1/
d) Was haben der Golfstrom und der Humboldtstrom gemeinsam? 1/
e) Was unterscheidet diese beiden Ströme voneinander? 1/
Pazifischer Ozean Der Golfstrom = Humboldtstrom = ist der größte. Er ist so groß wie
f) Das Bild zeigt, wie Meersalz gewonnen wird! Aber: Woher kommt das Salz im Meer? 1/


8 Punkte = Du weißt sehr viel. 7 bis 6 Punkte = Du hast dir einiges gemerkt. < 5 Punkte = Du solltest dir dieses Kapitel noch einmal durchlesen! Meine Punkte

Nun geht‘s los – Aufgaben für schlaue Köpfe!

2) Was für ein Durcheinander – Jeder Fisch transportiert einen Umweltfaktor, dem sich die Lebewesen im Meer anpassen müssen. Suche den dazu passenden Begriff und trage den passenden Buchstaben ein! %%

K. Meeresströmung

A. Wasserdruck

T. Gezeiten

L. Salzgehalt





N. Bodenbeschaffenheit


T. Wassertemperatur





Unterschiede sind wesentlich geringer.

A. Sonnenlicht










1l Meerwasser enthält 35g Salz. nimmt mit der Tiefe zu











I. Küstenformen Felsen, Sand, Schlamm



Ebbe und Flut







Flach- und Steilküsten

Golfstrom und Humboldtstrom

Wenn du nun die Buchstaben von oben nach unten liest, erhältst du jenen Ozean, der zwischen Amerika und Europa/Afrika liegt!
LÖSUNGSWORT: . . . . . . . .
3) Ordne die Nummern in der Pyramide den Angaben in den Kästchen zu! %%% wird durch Wasser abgeschwächt
Zooplankton, Krill Konsumenten 1. Ordnung 4 3 2 1
Fische, Vögel, Säuger, Menschen
Konsumenten 3. Ordnung
Phytoplankton
Produzenten
Fische, Schnecken
Konsumenten 2. Ordnung
Im Meer gibt es mehrere deutlich voneinander abgegrenzte Lebensräume. Man unterscheidet:
2 PELAGIAL = freies Wasser
2 BENTHAL = Meeresboden
2 LITORAL = Küstenzone
Die Küstenzone – das Litoral
In der Küstenzone unterscheidet man zwischen Fels- oder Steilküste und Sand- oder Flachküste.
freies Wasser
FELS oder STEILKÜSTE : In diesem Lebensraum herrschen extreme Lebensbedingungen. Es wirken gewaltige Kräfte.
Schwere Wellen rollen bei Flut gegen die Küste und brechen Geröll und Kies aus dem Gestein. Bei Ebbe verdunstet das Wasser in den Felsspalten. Dabei trocknen die Felswände komplett ab und der Salzgehalt in den verbleibenden Lacken steigt enorm an. Bei Regen nimmt der Salzgehalt in den Wasserbecken hingegen stark ab.
Trotzdem ist dieser Lebensraum besonders artenreich, da die Gezeiten viel Nahrung herbeispülen. Eine besondere Anpassung der Tiere an diesen Lebensraum macht das Überleben möglich. Napfschnecken, Seepocken, Miesmuscheln, Seeigel und Austern sind in den Felsspalten fest verankert und finden dort Nahrung und Schutz.

Küstenzone und freies Wasser


Steilküste

Miesmuscheln halten sich mit klebrigen Fäden, den Byssusfäden, fest.
Napfschnecken saugen sich mit ihrem Fuß am Felsen fest. Ihre Kalkschale schließt dicht ab und schützt vor Austrocknung. Mit ihrer Raspelzunge schaben sie Algen von den Felsen.

Seepocken sitzen fest und schützen sich bei Ebbe vor dem Austrocknen, indem sie ihr Kalkgehäuse mit einer Deckplatte verschließen. Mit ihren Füßchen strudeln sie Nahrung herbei.

Seeigel besiedeln felsige Küsten und Meeresböden.

Austern bilden Muschelbänke. Ihre untere Schalenhälfte wächst am Untergrund fest.

Flachküste
Schlick: zäher Schlamm

Watt


Das Watt

Im Watt sind große Gebiete bei Flut mit Wasser bedeckt und liegen bei Ebbe trocken. Im Bereich der Nordsee wird das Watt bis zu 13 km breit. Im Schlick finden Tiere reichlich Nahrung und Schutz.
Wenn du schon Urlaub am Meer gemacht hast, berichte davon!
Welche Tiere konntest du beobachten? Welche Muschelschalen hast du gefunden?


SAND oder FLACHKÜSTE: Hier wird das Meer nur allmählich tiefer. Die Wellen rollen langsam aus. Der Untergrund besteht meist aus Sand, Schotter und den Resten von Schnecken und Muschelschalen, oft auch aus Schlick. Dieser Lebensraum ist artenärmer. Die hier lebenden Tiere ziehen sich bei Ebbe in Wohnröhren zurück oder graben sich im Sand ein. Sie schützen sich dadurch vor dem Austrocknen und vor ihren Fressfeinden.

Die Fortsätze an der Schale des Pelikanfußes, einer Meeresschnecke, bohren sich in den Sand. So ist die Schnecke vor Wellen geschützt.

Schelf
Der flache Meeresboden in der Nähe der Küste bis zu einer Tiefe von 200 m wird als Schelf bezeichnet. Die obere Adria und die Ostsee sind Schelfmeere.
Fraßgang
Die Strandkrabbe gräbt sich bei der geringsten Erschütterung im Sand ein und findet so Schutz.
Im Watt, einer Form des Flachstrandes, gibt es Muscheln, Würmer und Schnecken. Diese leben in selbst gegrabenen Gängen und Röhren. So graben Wattwürmer U-förmige Röhren. Sie holen sich Nahrung durch einen der beiden Ausgänge herein und setzen ihre Kothäufchen bei dem anderen Ausgang ab.

Pflanzen
Kotgang
Wattwurm


Das Wachstum der Pflanzen hängt in erster Linie von den Lichtverhältnissen und dem Vorhandensein von Mineralstoffen ab. Je nachdem, wie viel Licht vorhanden ist, wachsen z. B. an den Küstenzonen Grün, Braun- und Rotalgen.
Algen in der Küstenzone
GRÜNALGEN: Diese wachsen in Bereichen mit viel Licht. Sie halten sich mit Saugscheiben am Untergrund fest.
BRAUNALGEN: Sie können auch in Regionen gedeihen, in die weniger Licht gelangt, da sie zusätzlich zum grünen Farbstoff auch noch einen bräunlichen besitzen, der ihnen die Fotosynthese bei schwachem Licht ermöglicht.
ROTALGEN: Diese benötigen am wenigsten Licht.
Braun- und Rotalgen werden auch von Menschen gegessen, vor allem in Südostasien.
Das freie Wasser – das Pelagial
Der größte Teil des Lebensraumes Meer ist die freie Wasserzone. Sie zeichnet sich durch zwei wesentliche Merkmale aus: In der freien Wasserzone gibt es Meeresströmungen und das Wasser ist sehr tief. Hier finden Lebewesen kaum Versteckmöglichkeiten. Viele Lebewesen der Hochsee haben nie Kontakt mit dem Meeresboden oder dem Ufer.
Kältere Bereiche des Meeres sind planktonreicher. Plankton treibt mit der Strömung über weite Teile des Meeres. Außerdem haben Wassertemperatur, Licht, Salzgehalt und das Angebot an Nährstoffen großen Einfluss auf das Plankton.
In den oberen Schichten bis zu einer Tiefe von etwa 150 Metern gibt es genügend Licht, sodass pflanzliches Plankton – das Phytoplankton – gut gedeihen kann. Dieses besteht zum Großteil aus Kiesel- und Geißelalgen. Es ist als Produzent von größter Bedeutung für alle anderen Lebewesen im Meer.
Tierisches Plankton – das Zooplankton – besteht aus Lebewesen, die keine Fotosynthese betreiben und sich von anderen winzigen Organismen ernähren. Es ist Nahrung für größere Meerestiere.


Fische – Vögel – Säugetiere im Lebensraum Pelagial
Das offene Meer ist auch der Lebensraum zahlreicher Fischarten. Da dieses keine Versteckmöglichkeiten bietet, leben kleinere Fische wie die Sardine in großen Schwärmen, um sich vor Raubfischen wie dem Hai zu schützen.
Auch viele Vogelarten wie der Albatros oder der Fregattvogel sind am offenen Meer zu finden. Sie verbringen den Großteil ihres Lebens am Meer und kehren nur zum Brüten an Land zurück.


Es gibt ungefähr 80 verschiedene Arten von Walen. Diese sind Säugetiere und leben ebenfalls auf dem offenen Meer. Sie atmen mit der Lunge und müssen daher immer wieder auftauchen.
Einige von ihnen wie die Delfine sind Raubtiere. Die größten aber, die Blauwale, die bis zu 30 m lang und bis zu 200 t schwer werden, ernähren sich von Krill.





Überlege! Warum gibt es in der Tiefsee keine Pflanzen?
bizarr: seltsam
Was sind Black Smoker?
Diese kaminartigen
Die Tiefsee ist die Meeresregion unterhalb einer Wassertiefe von 800 m. Hoher Wasserdruck von bis zu 1 t pro cm2, eine Wassertemperatur von ca. 2 °C, Dunkelheit und geringe Wasserbewegung sind die Lebensbedingungen der Tiefsee.



Heißwasserschlote am Meeresboden werden aus vulkanischen Quellen mit bis zu 400 °C heißem Wasser gespeist. Ihr heißes Wasser enthält chemische Verbindungen, aus denen Bakterien Nahrung herstellen können. Die Bakterien wiederum sind Nahrung für Würmer, Muscheln und andere Tiere. So konnte sich unabhängig von der Fotosynthese eine Nahrungskette aufbauen.

Black Smoker


Der Lebensraum Meer besteht aus den drei Bereichen Küste, Freies Wasser und Tiefsee mit dem Meeresboden. In jedem Bereich gibt es unterschiedliche Lebensbedingungen für die dort lebenden Tiere und Pflanzen.


Lange Zeit nahm man an, dass es in der Tiefsee kaum Leben gibt. Erst in den letzten Jahrzehnten fanden Forscherinnen und Forscher heraus, dass es trotz der lebensfeindlichen Bedingungen in der Tiefsee vielfältiges Leben gibt. Aber viele der oft bizarren Lebewesen sind dem menschlichen Auge vermutlich bisher verborgen geblieben.
Viele Tiefseefische haben große Mäuler und kräftige Zähne . Manche können Beutetiere verschlingen, die größer sind als sie selbst.

Tiefseeangler
Die meisten sind aber nicht besonders groß und oft fehlt eine Körperfärbung. Manche Tiere haben besonders große Augen, damit sie das wenige Licht aufnehmen können. Bei manchen sind die Augen rückgebildet oder fehlen ganz.
Wieder andere gehen mit Bakterien, die Licht abgeben, eine Symbiose ein. Diese Bakterien befinden sich in Leuchtorganen der Tiefseefische, mit denen sie die Umgebung sichtbar machen.


Viperfische halten mit langen spitzen Zähnen ihre Beute fest.

Seegurke


Laternenfische haben Leuchtorgane. Mit ihnen locken sie ihre Beute an und finden ihren Geschlechtspartner.
Das Wasser auf dem Meeresboden bewegt sich kaum. Schalenreste und Skelettteile lagern sich auf dem Meeresgrund ab. Organisches Material kommt in Form von Schwebeteilchen aus höheren Wasserschichten. Würmer, Muscheln und Seegurken finden dadurch auf dem Meeresboden ausreichend Nahrung.
Aufgrund der großen Wassertiefe ist es sehr schwierig, bis zum Meeresboden vorzudringen. Daher sind die Lebensgemeinschaften des Tiefseebodens noch kaum erforscht.

1) Lebensbedingungen an der Steilküste – Trage die Zahlen aus diesem Informationstext richtig in die Kreise im Bild ein! %%%




Wasserstand bei Flut
Wasserstand bei Ebbe


Schwere Wellen rollen gegen die Küste und brechen Geröll und Kies aus dem Gestein (1). Bei Ebbe trocknen die Felswände komplett ab (2). Das Wasser in den verbleibenden Lacken verdunstet, dadurch steigt der Salzgehalt stark an (3). Napfschnecken saugen sich mit ihrem Fuß an Felsen fest. Ihre Schale schließt dicht ab und schützt sie vor Austrocknung (4). Andere Tiere suchen unter Steinen Schutz (5).
Wasserstand bei Flut
Wasserstand bei Ebbe



Das Meer wird allmählich tiefer.


Die Wellen schlagen gegen die Küste.


Der Boden besteht aus Sand und Schotter.



2) Kreuze an, welche Lebensbedingungen an einer Flachküste vorherrschen! %%

Der Meeresboden fällt steil ab.


Die Wellen rollen langsam aus.


Der Boden besteht aus Felsen.

Manche Tiere graben sich bei Ebbe im Sand ein. Manche Tiere laufen bei Ebbe in tieferes Wasser.

3) Betrachte das Bild vom Leben im Schelfmeer und finde eine Nahrungskette! %%%







4) Seeungeheuer - In diesem Text über den Riesenkalmar haben sich 5 Fehler eingeschlichen. Finde diese, streiche die falschen Wörter durch und schreibe die richtigen aus dem Kästchen darüber! %


Lange Zeit hielt man Erzählungen von Bergsteigern über riesige Tintenfische für Legenden über Seeungeheuer.
Doch nach und nach tauchten immer mehr ernstzunehmende Berichte auf:
Walfänger fanden Teile von sehr großen Tintenfischen in den Lungen von Pottwalen und schließlich wurden auch an Land gespülte Tiere gefunden. 2005 gelang es erstmals, diese Tiere in ihrem Urlaub, der Tiefsee, zu filmen. Der Riesenkalmar lebt in einer Wassertiefe von etwa 500 m. Er erreicht eine Länge von bis zu 13 m. Um das wenige Licht in dieser Wassertiefe nutzen zu können, besitzt er riesige Augen, die mit einem Durchmesser von bis zu 30 cm die größten im gesamten Tierreich sind. Riesenkalmare kommen in allen Aquarien vor. Ihr einziger Feind ist der Pinguin, der auf der Jagd nach Beute mehr als 1 000 m tief tauchen kann.

5) Welche Lebensbedingungen passen nicht zu diesem Foto? Streiche die falschen Sätze und Begriffe durch! %%% Tipp: Wenn du dann die Buchstaben bei den passenden Aussagen zusammensetzt, erhältst du einen Lebensraum, der völlig gegensätzlich zu dieser Abbildung ist.


I. Der Boden ist ständig gefroren.
A. Bakterien stellen Nahrung aus chemischen Verbindungen her.
W. Tiefsee T. Heiße Quelle
T. Würmer und Muscheln ernähren sich von Bakterien.
E. Küste K. viel Sonnenlicht
S. Pflanzen betreiben Fotosynthese.
LÖSUNGSWORT:
Korallenriffe sind Lebensräume im Meer, die von den Korallen, die sie bewohnen, selbst gebildet werden. Korallenpolypen sind nur wenige Millimeter große, sesshafte Nesseltiere, die in großer Zahl in Kolonien auf engem Raum zusammenleben. Nach außen hin bilden sie eine Hülle aus Kalk, das Kalkskelett.


Steinkorallen sind für die Entstehung von Korallenriffen entscheidend. Nach dem Absterben der Polypen bleiben die Kalkskelette zurück und neue Tierarten siedeln sich darauf an.
So entstehen im Laufe der Zeit große Gebilde aus Kalk, die bis knapp unter die Wasseroberfläche reichen können – die Korallenriffe.


Wie viele andere Korallenarten leben auch Steinkorallen in Symbiose mit Algen, von denen sie Nährstoffe beziehen. Sie ernähren sich aber auch von Plankton, das sie vor allem in der Nacht mit ihren Tentakeln einfangen.
Korallenriffe entstehen in der Nähe des Festlandes oder auf einem Schelf. Sie bilden sich in tropischen Meeren bei einer durchschnittlichen Wassertemperatur zwischen 20 °C und 29 °C. In den verschiedenen Riffregionen herrschen unterschiedliche Lebensbedingungen. Korallenriffe werden durch die zunehmende Verschmutzung und Erwärmung des Wassers, vor allem aber durch den Anstieg des Kohlenstoffdioxidgehalts gefährdet.
Nesseltiere: einfach gebaute Tiere, die mit einem Gift gefüllte Nesselzellen besitzen; mit diesem töten sie ihre Beute; auch die Quallen gehören zu den Nesseltieren
Aufbau einer Koralle

Koralle mit ausgestreckten Tentakeln

Koralle mit eingezogenen Tentakeln

leeres Kalkskelett Rifftypen


Die Rote Edelkoralle bildet Kolonien, die wie kleine Ästchen aussehen.

Die weißen, kleinen Korallenpolypen sind vorwiegend nachtaktiv und ziehen sich bei Tag in das Kalkskelett zurück.




Das Korallenriff, Lebensraum für viele Tierarten
Korallenriffe sind farbenprächtige Lebensräume, in denen viele verschiedene Tierarten Nahrung, Versteckmöglichkeiten und Plätze finden, um sich festzusetzen. Die Artenvielfalt ist eine Reaktion auf den Mangel an Nähr- und Mineralstoffen. Im Laufe von Jahrmillionen wurden zahlreiche unterschiedliche ökologische Nischen besetzt. Wie groß sind Korallenriffe?

Das größte Korallenriff ist das „Große Barriereriff“ vor der Küste Australiens. Es ist etwa 2 300 km lang und bedeckt eine Fläche von ca. 350 000 km². Weltweit nehmen Korallenriffe etwa 600 000 km² ein. Riffe können mehr als 2 000 m in die Tiefe reichen.
Erinnere dich an dein Wissen über Lebensräume: Wie ist es möglich, dass zahlreiche unterschiedliche Arten auf engem Raum zusammenleben können? Inwiefern sind die Lebewesen voneinander abhängig oder unabhängig?


Rotfeuerfisch
Seine stacheligen Rückenflossen enthalten Gift. Es verursacht beim Menschen starke lokale Schmerzen, Angstzustände, Übelkeit sowie Schwitzen und kann zum Kollaps führen. Dieser nachtaktive Fisch jagt andere Fische und Krebse.

Kollaps: Schwächeanfall


Korallenriffe werden von Steinkorallen gebildet. Sie entstehen in tropischen Gewässern Korallenriffe sind Lebensräume für viele verschiedene Tierarten.





So werden Nischen besetzt:
Garnelen und Krebse ernähren sich vom Schleim und den Polypen der Korallen und putzen andere Fische.
Papageienfische besitzen ein schnabelförmiges Maul zum Abbeißen von Korallenstücken.
Doktorfische verteidigen sich mit einem skalpellförmigen Gebilde an der Seite ihres Schwanzes.
Viele Fische wie der Clownfisch finden auf Grund ihrer schmalen, hohen Körperform bei Gefahr Schutz zwischen den Korallenstöcken.
Andere grenzen mit ihren leuchtenden Farben ihr Revier ab.
Muränen sind nachtaktiv und verbringen den Tag in den Spalten des Riffs.
Fächerkorallen: Sie können bis zu 2 m groß werden, auch Lederkorallen gedeihen auf Korallenriffen.







1) Wie nennt man die einzelnen Rifftypen? Ordne den Bildern die Texte zu, indem du die richtigen Buchstaben in die Kreise einträgst und den Namen darunterschreibst! %%




A Dieses Riff entsteht durch geologische Vorgänge. Damit es bis zur Wasseroberfläche wächst, muss sich der Meeresboden senken oder der Meeresspiegel heben. Diese Riffbildung dauert sehr lange, daher sind diese Riffe eher selten. Das bekannteste ist das australische „Große Barriereriff“.







B Dieses Riff findet man entlang einer Küste. Dieser Rifftyp kommt am häufigsten vor und kann sehr lang sein. Er entsteht in Ufernähe und „wächst“ in Richtung Meer. Die Oberfläche dieses Riffs ist immer knapp unterhalb der Wasserlinie.




C Dieser Rifftyp bildet sich zumeist auf dem Kontinentalschelf und im offenen Ozean. Er entsteht, sobald auf dem Meeresboden riffbildende Korallen nach allen Seiten wachsen. In ihrer Mitte kann sich ein seichtes Gewässer, eine Lagune, bilden.



2) Die folgenden Abbildungen zeigen dir, wie ein ringförmiges Korallenriff, das man Atoll nennt, entsteht! Beschreibe diese Entstehung mit eigenen Worten! %%%%




Nun geht‘s los – Aufgaben für schlaue Köpfe!

3) Die Karte zeigt dir die Riffregionen in den Meeren. Beschrifte die Karte, indem du die großen Ozeane und die Kontinente einträgst! %%








Riffregionen im Meer



Rosa = Rotes Meer Dunkelrot = Indischer Ozean Rot = Westpazifik Gelb = Barriereriff Orange = Zentralpazifik Grün = Ostpazifik Hellgrün = Karibik Braun = Bermudas Violett = Brasilien Olivgrün = Ostatlantik
4) Wer ist das? Benenne diese Lebewesen und kreuze an, welche du bei einem Korallenriff finden kannst! Die Buchstaben hinter den richtigen Antworten ergeben bewaffnete Tiere, die man auf dem Boden in verschiedenen Zonen des Meeres finden kann. %%






LÖSUNGSWORT:
Seit Jahrtausenden nutzt der Mensch das Meer auf vielfältige Weise. Auch heute noch ist es von großer wirtschaftlicher Bedeutung.
Das Meer dient dem Menschen als …
NAHRUNGSQUELLE: Der Fischfang liefert Nahrung für viele Menschen. Durch technisch hoch entwickelte Fangmethoden werden die Fangerträge heute enorm gesteigert. Dadurch besteht aber die Gefahr der Überfischung.
TRANSPORTWEG: Das Meer hat große Bedeutung für den internationalen Verkehr. Der Transport von Gütern auf dem Seeweg ist bedeutend billiger als jede andere Transportmöglichkeit. Daher werden rund 92 % aller Waren auf dem Wasser weg transportiert. Zum Be- und Entladen von Schiffen entstanden an den Küsten Häfen, die auch heute noch wichtige Zentren für den weltweiten Handel sind. Viele Waren werden heute in Containern transportiert.




ROHSTOFFQUELLE: Fast die Hälfte der weltweiten Erdöl- und Erdgasreserven finden sich in den Kontinentalschelfen. Im Meeresboden lagern wichtige Bodenschätze wie Mangan, Kupfer, Blei, Titan, Phosphate, Kohle und Eisenerze. Sie werden wegen der hohen Kosten für die Förderung bis jetzt aber kaum genützt.
QUELLE FÜR SALZ: In großen flachen Becken lässt man das Meerwasser von der Sonne verdunsten, sodass das im Meer gelöste Salz zurückbleibt. So gewinnen die Menschen seit langer Zeit Salz.
SÜSSWASSERQUELLE: Meerwasserentsalzungsanlagen entziehen dem Wasser das Salz. Dieses Verfahren zur Gewinnung von Süßwasser aus Salzwasser ist jedoch sehr kostenintensiv und wird auf Grund der zunehmenden Verschmutzung der Meere immer schwieriger.
ENERGIEQUELLE: Windräder an den Küsten nutzen den Wind am Meer. Gezeitenkraftwerke gewinnen aus dem Höhenunterschied des Wasserspiegels bei Ebbe und Flut elektrische Energie. Wellenkraftwerke nutzen die Bewegung des Meerwassers. Auch Meeresströmungen dienen der Stromerzeugung. Das Meer ist eine saubere Energiequelle, die immer mehr an Bedeutung gewinnt.
ERHOLUNGSRAUM: Viele Menschen erholen sich im Urlaub am Meer oder bei einer Reise mit einem Kreuzfahrtschiff. Für viele Küstenländer ist der Tourismus ein wichtiger Wirtschaftszweig.

Fischfang
Container: Behälter zum Transport von Gegenständen


Salzgewinnung

Was können wir tun, um den Lebensraum Meer zu schützen?

nachhaltige Fischerei unterstützen

bedrohte Fischarten nicht kaufen



erneuerbare Energie nutzen auf Wärmedämmung achten CO2 Ausstoß verringern

Ölverschmierte Ente
Gefahr Mikroplastik!

Mikroplastik nennt man Plastikstücke kleiner als 5 mm. Es entsteht durch Verwitterung von Plastik, ist aber auch in manchen Produkten enthalten. Stücke kleiner als ein Mikrometer können sich in Zellen einlagern und biologische Prozesse stören. Heute findet sich Mikroplastik überall auf der Welt, in den allermeisten Lebewesen und auch im Menschen, da es durch Nahrung und Atmung aufgenommen wird.


Gefahren für das Meer
Das Meer ist ein sehr komplexes Ökosystem. Natürliche und vom Menschen verursachte Störungen können schwerwiegende Auswirkungen auf diesen Lebensraum haben.
Eine der größten Bedrohungen für das Ökosystem Meer ist die globale Erwärmung. Die steigenden Meerestemperaturen bedrohen die Tier- und Pflanzenwelt. Lebewesen, die sich dieser Veränderung nicht anpassen können, sind vom Aussterben bedroht. Zusätzlich wird das Meer durch die großen Mengen an freigesetztem Kohlenstoffdioxid belastet. Das in der Atmosphäre enthaltene CO2 löst sich im Meerwasser und es entsteht Kohlensäure. Säuren lösen aber Kalk. Für Meerestiere, die Kalk zum Leben brauchen oder deren Schalen aus Kalk bestehen, ergibt sich daraus ein großes Problem. Kälteres Wasser kann mehr CO2 als warmes aufnehmen, Polarregionen leiden also besonders.
Ein weiteres Problem ist die Überfischung der Meere. Werden mehr Fische einer Art gefangen, als durch natürliche Vermehrung nachkommen, so ist diese Art vom Aussterben bedroht. Zu den gefährdeten Fischarten zählen Kabeljau, Heilbutt, Blauflossen-Thunfisch, Granatbarsch oder Haie. Den Haien werden die Rückenflossen abgetrennt, die immer begehrter für die Spezialität Haifischflossensuppe werden.

Schiffsunglück
Schiffsunglücke, Abfälle von Schiffen, Müll, der ins Meer gekippt wird, und vor allem Unfälle auf Bohrinseln, bei denen oft tausende Tonnen von Rohöl ins Meer gespült werden, belasten die Ozeane. Öl verklebt das Gefieder der Vögel und die Kiemen der Fische. Ein qualvoller Tod ist meistens unausweichlich.


Barrieren sollen Öl stoppen

Das Meer ist ein sensibler Lebensraum Massentourismus, Abwässer, der enorme CO2 Ausstoß und Ölunfälle belasten dieses Ökosystem besonders stark.


Auch Abwässer, die ins Meer geleitet werden, enthalten Schadstoffe. Diese werden über die Nahrungskette von den Produzenten an die Konsumenten weiter gegeben. Steht der Mensch am Ende einer Nahrungskette, ist auch er von der Schadstoffbelastung betroffen. Die steigende Abwasserbelastung des Meeres wird durch den zunehmenden Massentourismus an den Meeresküsten verursacht.
Die Menschen haben erkannt, dass man zum Schutz des Meeres auf internationaler Ebene zusammenarbeiten muss. Eine Reihe überregionaler Vereinbarungen, die zwischen den Staaten getroffen wurden, sind in der Liste internationaler Umweltabkommen verzeichnet.

Nun geht‘s los – Aufgaben für schlaue Köpfe!
1) Die folgende Abbildung zeigt dir, wodurch das Meer verschmutzt werden kann! Schreibe den passenden Text in die Kästchen zu den Fotos! %%%



























Abwässer aus der Kanalisation © Unfälle auf Ölbohrplattformen © Pestizide aus der Landwirtschaft © Tankerunfälle © Entsorgen von Müll © Industrieabfälle

2) Das große Meeresquiz! Finde die richtigen Antworten, ringle sie ein, dann erhältst du ein Lösungswort! %%
1) Ein Liter Meerwasser enthält durchschnittlich…
S 35,3 g Salz. O 22,3 g Salz. V 42,4 g Salz.
2) Der Golfstrom ist …

A eine kalte Meeresströmung. O eine Meeresenge. E eine warme Meeresströmung.
3) Ein Großteil der Erde ist mit Wasser bedeckt!
M Es sind 55 %. E Es sind 71 %. L es sind 81 %.
4) Der Wasserdruck …
G nimmt mit der Tiefe zu. R nimmt mit der Tiefe ab. H bleibt immer gleich.
5) Unter Watt versteht man …
6) Um Tiefsee handelt es sich, wenn …
I man von einer Meeresregion ab 200 m spricht.
A es in einer Meeresregion wenig Licht gibt.
R man von einer Meeresregion ab 800 m spricht.

N eine Form der Steilküste. K den Meeresboden. U eine Form der Flachküste.
7) Phytoplankton ist … K pflanzliches Plankton. G das Plankton der Tiefsee. M tierisches Plankton.
8) Im Lebensraum Steilküste … W sind nur wenige Lebewesen zu finden. E gibt es besonders viele verschiedene Lebewesen. A sind keine Lebewesen angesiedelt.

LÖSUNGSWORT: . . . . . . . .


4) Versuche, mehr Informationen über Hans Hass im Internet zu finden!



3) Alles Wissenswerte über Hans Hass! Versuche, diesen Wellentext zu lesen! % Der Österreicher Hans Hass war einer der ersten Tauchpioniere und Meeresforscher des 20. Jh. Der Zoologe war maßgeblich an der Entwicklung des freischwimmenden Tauchens beteiligt. Bekannt wurde er mit seinen Dokumentarfilmen über Haie. 1949 kam sein Film „Menschen unter Haien“ heraus in dem die meeresbiologische Arbeit mit Hilfe eines Schwimmtauchgerätes gezeigt wurde. Dies war die Geburtsstunde des modernen Forschungstauchens.

Der Blauwal: Gigant der Meere
Blauwale werden bis zu 33 m lang, wobei die Weibchen etwas größer als die Männchen werden. Das Herz des Blauwals ist mit bis zu 1 000 kg so schwer wie ein Kleinwagen. Es schlägt nur wenige Male pro Minute, pumpt dabei allerdings bis zu 5 000 l Blut pro Minute durch den Körper des Tieres.
Obwohl der Blauwal mit einem Gewicht von 200 t vermutlich das größte Tier ist, das jemals auf der Erde gelebt hat, frisst er ausschließlich Plankton und Krill. Dieses filtert er mit seinen Barten aus dem Wasser. Barten sind gefiederte Hornplatten, die vom Oberkiefer des Wales herabhängen. Bis zu 800 davon befinden sich in seinem Maul.
Blauwale kommen in allen Weltmeeren vor. Den Sommer verbringen sie in den kalten Gewässern an den Polen, während sie im Winter in wärmere Gebiete ziehen. Auf ihren Wanderungen verständigen sie sich mit Artgenossen durch extrem tiefe Töne, die über hunderte Kilometer zu hören sind.
Früher wurden Blauwale von Walfängern so intensiv gejagt, dass um die Mitte des letzten Jahrhunderts nur noch etwa 2 000 Tiere am Leben waren. 1972 wurden internationale Verträge zum Schutz der Blauwale abgeschlossen. Heute schätzt man, dass wieder etwa 10 000 bis 20 000 dieser riesigen Tiere die Weltmeere durchschwimmen.

Größenvergleich: Blauwal – Mensch
Leider hat rücksichtsloses Fischen mit riesigen Fangschiffen dazu geführt, dass heute manche Fischarten vom Aussterben bedroht sind.
Im Jahr 1997 gründeten der Nahrungsmittelkonzern Unilever und die Naturschutzorganisation WWF gemeinsam den „Marine Stewardship Council“ (MSC). Diese Organisation gab Richtlinien heraus, wie umweltschonend gefischt werden soll:


2 Kein Überfischen: Es dürfen nur so viele Fische gefangen werden, wie wieder nachwachsen.
2 Das Ökosystem muss geschützt werden.
2 Nationale und internationale Gesetze müssen eingehalten werden.
Fischereibetriebe, die sich an diese Richtlinien halten, werden mit dem MSC-Siegel ausgezeichnet. Meeresfische und Fischprodukte, die dieses Zeichen aufweisen, können Sie also mit ruhigem Gewissen kaufen.
Waren mit einem Gesamtgewicht von 5,7 Mrd. Tonnen werden jährlich auf dem Seeweg transportiert. 55 % davon sind Massengüter (Erze, Kohle, Getreide usw.), 27 % Flüssigkeiten – vor allem Erdöl – und 14 % Container.
Die größten Häfen der Welt sind in Shanghai (China), in Singapur und in Rotterdam (Holland).



In den letzten Jahren haben die Überfälle auf Schiffe deutlich zugenommen. Dabei kommt es den Piraten kaum darauf an, was ein Schiff geladen hat. Meist nähern sich die Seeräuber den Schiffen mit kleinen, schnellen Booten und nehmen die Mannschaft gefangen. Gegen Zahlung eines hohen Lösegeldes lassen sie später die Besatzung mit ihrem Schiff wieder frei. Trotzdem kommen bei den Überfällen immer wieder Menschen ums Leben. Am häufigsten gibt es Piratenüberfälle in Indonesien, vor der Ostküste Afrikas und im Roten Meer.


Auch in österreichischen Supermärkten finden Sie zahlreiche Fischprodukte mit diesem Siegel.

Korallenriffe in Österreich
Vor mehr als 60 Mio. Jahren gab es auf dem Gebiet des heutigen Österreich ein Korallenriff, das so groß war wie das Große Barriereriff vor Australien. Die Überreste dieses Riffs bilden heute große Teile der Kalkalpen, unter anderem auch das Dachsteinmassiv.

Der Dachstein an der Grenze zwischen Oberösterreich, Salzburg und der Steiermark

Arm verloren? Kein Problem!

Verliert ein Seestern einen Arm, wächst ein neuer nach. Dieses Nachwachsen nennt man Regeneration. Meistens wird dieser Arm dann aber nicht mehr so groß wie der ursprüngliche. Man spricht dann von einem Kometenstern.
Seesterne sind nicht die einzigen Stachelhäuter, die über ein hohes Regenerationsvermögen verfügen.
So können auch Seegurken einen Teil ihrer inneren Organe auf ihre Fressfeinde spucken und diese so ablenken. Die fehlenden Organe werden wieder nachgebildet.

Machen Sie doch Urlaub an der türkischen Riviera und beobachten Sie dabei das Schlüpfen der Karettschildkröten!
Jahr für Jahr locken die langen Sandstrände an der türkischen Südküste tausende Urlauberinnen und Urlauber an. Aber auch weibliche Karettschildkröten werden von den Stränden angelockt, um im warmen Sand ihre Eier abzulegen. Damit es zu keiner Störung der unter Naturschutz stehenden Reptilien kommt, bewachen Hotelangestellte in der Nacht den Strand. Zuerst beobachten sie, wo die Schildkröten an Land gehen und ihre Eier ablegen. Dann stellen sie einen schützenden Zaun über die Gelege. Deshalb machen die Urlauber/innen einen weiten Bogen um diese Stellen, bis die kleinen Schildkröten geschlüpft sind.


Samantha Gray: Die Welt erleben und verstehen, Leben im Meer. Dorling Kindersley Verlag GmbH, Starnberg, 2001.
Frank Schätzing: Nachrichten aus einem unbekannten Universum. Eine Zeitreise durch die Meere. Kiepenheuer & Witsch, Köln 2010. Laurent Ballesta, Pierre Descamp: Best of National Geographic Planet Meer: Reise in die Unterwasserwelt. NATIONAL GEOGRAPHIC Deutschland, Hamburg 2007.

Die Riesenmuschel, auch Mördermuschel genannt, ist immer noch gut für Schauergeschichten. So soll sie nach Tauchern schnappen und sie unter Wasser festhalten. In Wahrheit schließen sich die Muschelschalen aber viel zu langsam, als dass eine Taucherin oder ein Taucher von ihnen festgehalten werden könnte.
Die Riesenmuschel wird bis zu 140 cm groß und bis zu 400 kg schwer und zählt zu den bedrohten Arten.


• 97 Prozent des Wassers auf der Erde sind Salzwasser. Eine glatte Erdoberfläche wäre rundum 2 500 m hoch mit Wasser bedeckt.
• Eine einzige Miesmuschel schafft es in nur einer Stunde, 3 l Meerwasser zu filtern. Dabei werden natürlich neben den Nahrungsstoffen auch Schadstoffe aus dem Wasser aufgenommen.
• Phytoplankton produziert im Jahr 20 Mrd. Tonnen Biomasse. Bei der Produktion verbraucht es so viel Kohlenstoffdioxid wie alle Wälder der Erde zusammen.

Auf diesen beiden Seiten findest du viele Anregungen, um selbst zu forschen. Viel Vergnügen dabei!
Was du alles brauchst: große Kartoffel, Küchenreibe, Schüssel, Teller, großes Stofftaschentuch
Wie musst du vorgehen?
1. Schäle zuerst die Kartoffel und reibe sie dann mit der Küchenreibe zu einem Brei! Diesen gibst du in die Mitte des großen Stofftaschentuchs und faltest dieses zu einem Säckchen. Nun füllst du die Schüssel mit Wasser, tauchst das Säckchen mit dem Brei ein und drückst es aus. Diesen Vorgang wiederholst du 10-mal.
2. Lass die Schüssel nun 5 min. lang stehen und gieße anschließend das Wasser vorsichtig ab! Den Rückstand am Boden der Schüssel schüttest du auf einen Teller und lässt ihn trocknen.
Was ist zu sehen?
1. Welche Farbe hat die getrocknete Kartoffelstärke?
2. Wie fühlt sie sich an?


Was du alles brauchst: ca. 2 m langer Gummischlauch mit einem Durchmesser von 8 mm, Wäscheklammer, Filzstift
Wie musst du vorgehen?
1. Zu Beginn markiere die Mitte des Gummischlauchs mit dem Filzstift. Von der Mitte weg machst du im Abstand von 1 cm jeweils 20 Striche links und rechts! Nun steckst du dir die Enden des Schlauches in deine Ohren, sodass er hinter deinem Rücken verläuft.
2. Eine andere Person (Freund/in, Eltern usw.) soll nun mit einem Stift auf den Schlauch schlagen und zwar sowohl in der Mitte als auch links und rechts davon.
Was nimmst du wahr?
A. Wo hörst du das Klopfen? Entscheide bei jedem Klopfen, ob es mehr in der Mitte oder rechts oder links zu hören ist!

B. Bis zu welcher Entfernung von der Schlauchmitte hörst du das Klopfen? Lass deine Helferin/deinen Helfer an den Strichen ablesen, wie weit du etwas wahrnimmst! Notiere die Ergebnisse!
3. Zum Schluss befestige in der Mitte des Schlauchs eine Wäscheklammer! Wiederhole nun diesen Versuch!
C. Erhältst du die gleichen Ergebnisse wie ohne Wäscheklammer? JA NEIN
Was ist anders?

Wie musst du vorgehen?
1. Lass deinen linken Arm ungefähr 1 min nach unten hängen und pendle dabei mit dem Arm hin und her. Anschließend legst du die linke Hand flach auf den Tisch.
2. Nun drückst du mit dem Mittelfinger der rechten Hand die Vene so wie in der Abbildung ab und streiche mit dem Zeigefinder der rechten Hand das Blut aus dieser Vene in Richtung Herz.
Was nimmst du wahr?
A. Meine Beobachtung:

3. Wiederhole nun diesen Versuch, ohne die Vene abzudrücken!
B. Meine Beobachtung:
Was du alles brauchst: Efeu, Schere, Erde, Blumentopf, Marmeladenglas, Gießkanne
Wie musst du vorgehen?
Achtung: Efeu kann eine allergische Reaktion hervorrufen. Vermeide es, den Pflanzensaft zu berühren!
Schneide einen Efeutrieb über dem Knoten mit einer sauberen Schere ab! Anschließend setze den Trieb in einen Topf mit Erde, sodass nur mehr das Blatt mit seinem Stiel zu sehen ist! Gieße den Efeu und stülpe dann das leere Marmeladenglas darüber! Nach einigen Wochen kannst du ihn ein einen größeren Topf umsetzen.
Was kannst du beobachten?
Erstelle in deinem Heft eine Tabelle und trage deine Beobachtungen 8 Wochen lang ein!




Was du alles brauchst: große Glasschüssel, Wasser, Speiseöl, Kaffeelöffel, Strohhalme
Wie musst du vorgehen?
Fülle in die Schüssel Wasser und gib einige Tropfen Speiseöl dazu! Versuche, dann mit einem Kaffelöffel das Öl abzuschöpfen!
Was kannst du beobachten?



Lege dann die Strohhalme in das Wasser und versuche so, das Öl aufzuhalten! Gelingt es dir?
Löse dieses Kammrätsel, dann erhältst du in der mittleren Spalte das Lösungswort!



1. Hammer, Steigbügel und 2. Fehlsichtigkeit hängt von der 3. Nahrungsmittel teilt man in Fette, 4. Die Viruserkrankung 5. Die Bänder eines Gelenks werden bei einer 6. Das Zentralnervensystem wird vom 7. Zu den Wirkstoffen zählt man 8. Fette setzen sich aus 9. Eine 10. Bei Mädchen sind 11. Die Knochenmasse wird bei der Krankheit 12. Die kugeligen 13. Unser 14. Die Sehund Hörrinde gehören zu den 15. Regelmäßiges Zähneputzen kann sind die Gehörknöchelchen. der Linse ab. und Eiweiße ein. ist tödlich. stark überdehnt. und dem Gehirn gebildet. und Mineralstoffe. und Fettsäuren zusammen. ist ein Blutgerinnsel. für die Reifung der Eizelle zuständig. vermindert. in der Lunge sind von Kapillaren umgeben. besteht aus über 200 Knochen. der Sinnesorgane. verhindern.
(Ein Spiel für 2 – 4 Spieler/innen) Du brauchst einen Spielstein und einen Würfel. Auf jedem Ereignisfeld wird dir eine Aufgabe gestellt, die du erledigen musst, um weiter zu kommen! % % ACHTUNG: Das Ziel muss genau erreicht werden!

1 Wenn du 5 Organe des Immunsystems nennen kannst, darfst du 3 Felder weiter!
2 Welche 3 Infektionsarten gibt es? Bei richtiger Antwort → 2 Felder vorwärts!
3 Weil du eine Verletzung hast, von der ein roter Strich ausgeht, musst du zu deinem Arzt. → 3 Felder zurück!
4 Woraus besteht die Lymphe? Bei richtiger Antwort → 1 Feld vorwärts!
5 Nenne die 3 Aufgaben des Lymphsystems! Für jede richtige Antwort → 1 Feld vorwärts!
6 Deine Fresszellen haben es nicht geschafft, den Krankheitserreger unschädlich zu machen. → 3 Felder zurück!
7 Bei der spezifischen Abwehr informieren Fresszellen die T-Zellen. Diese reagieren auf zweifache Weise. Erkläre beide! Für jede richtige Erklärung → 1 Feld vorwärts!
8 Wie heißen die Zellen, die bestimmte Informationen über Krankheitserreger speichern? Bei richtiger Antwort → 1 Feld vorwärts!
9 Nenne 4 Funktionen der Milz! Bei richtiger Antwort → 1 Feld vorwärts!
10 Dein Immunsystem ist geschwächt, weil du zu wenig geschlafen hast. → 2 Felder zurück!
11 Erkläre den Vorgang der aktiven Schutzimpfung! Bei richtiger Antwort → 1 Feld vorwärts!
12 Es gibt 4 Möglichkeiten, deine Immunabwehr zu stärken. Nenne sie! Bei richtiger Antwort → 1 Feld vorwärts!
Wie heißen die hier abgebildeten Pflanzen und Tiere?
Bilde zuerst aus den 32 Wortteilen zusammenpassende Begriffe! Dann trage vor jedem Namen die Nummer des passenden Bildes ein! Die Buchstaben hinter den 16 Namen ergeben zum Schluss als Lösungswort einen wichtigen ökologischen Begriff.



































Abhängigkeit: 64, 65, 91
Aderhaut: 69
AIDS: 54, 55, 58, 113, 114
Akkommodation: 70
Akne: 84
Alkohol: 33, 36, 44, 65, 91, 104, 105, 127
Allergie: 24, 56, 140
Alveole: 23
Ambisexualität: 99
Amboss: 75
Aminosäure: 27, 32, 34
Ammenmutter: 127
Antagonist: 20
Antibabypille: 112
Antibiotika: 36, 53, 56, 113
Antigen: 40
Antikörper: 40, 50, 56
Aorta: 41
Arterie: 42, 43
Arterienverkalkung: 44
Arteriosklerose: 44
Assimilation: 33
Asthma: 24, 56, 136
Atmung: 23, 44, 60, 62
Atoll: 161
Auge: 28, 49, 62, 69, 91, 156
Ausscheidungsfunktion: 33, 83
Ausscheidungsorgan: 33
Axon: 59
Backofeneffekt: 135
Bakterien: 24, 31, 32, 35, 40, 47, 53, 72, 76, 83, 96, 113, 127, 144, 156
Balken: 59
Ballaststoffe: 28
Bandscheiben: 6, 15, 16
Barriereriff: 159, 162
Bartwuchs: 88, 95
Bauchspeicheldrüse: 31, 87
Baustoffwechsel: 33
Becken: 6, 15, 91, 96, 106, 118
Befruchtung: 94, 103, 110
Beinhaut: 11, 60
Benthal: 153, 156
Betriebsstoffwechsel: 33
Bewegungsapparat: 15
Bewegungsnerven: 59, 61, 62
Bindegewebe: 8, 12, 49, 69
Bindehautentzündung: 56, 72
Binge-Eating-Disorder: 30
bioaktive Substanz: 28
Biotechnologie: 127, 132
Biotop: 133, 160
Biozönose: 133
Bisexualität: 99
Black Smoker: 156
Bläschendrüse: 95
Blinddarm: 32
blinder Fleck: 69
Blut: 23, 27, 33, 39
Blutgruppen: 40
Bluttransfusion: 40, 55, 114
Blutzelle: 39
Bodenverdichtung: 144
Body-Mass-Index BMI: 30
Bogengänge: 75, 76
Botenstoff: 87
Bowman-Kapsel: 34
Bronchien: 23, 62
Bronchitis: 24, 136
Brustkorb: 6, 8, 15, 91
Bulimie: 29
Cannabis: 64, 65
Cholera: 53
Chromosom: 119, 120, 128, 131
Coitus interruptus: 110, 117
Contergan: 117
Cortisches Organ: 75
Crack: 64, 66
Darm: 20, 28, 31, 33, 48, 53, 62, 96
Dendrit: 59
Diabetes: 87, 128
Dialyse: 36
Diät: 30
Dissimilation: 33
Drehsinn: 76
Drogen: 64, 66, 91, 104, 114
Druckfiltration: 34
Drüse: 31, 33, 34, 49, 69, 72, 80, 83, 87, 94
Durchfall: 32, 53, 55, 114, 118
Ebbe: 150, 153, 163
Ecstasy: 66
Edelreis: 127
Eichel: 95
Eierstock: 87, 93, 110, 113
Einfachzucker: 27
Eingeweidemuskulatur: 19
Eisprung: 94, 103, 109, 118
Eiter: 49
Eiweiße: 27, 31, 33, 40, 56
Eizelle: 88, 93, 103, 109, 118, 127
Ejakulation: 95, 100, 111
EKG: 41
Elektrolyt: 35, 39
Elterngeneration: 119
Embryo: 11, 104, 127
Empfindungsnerven: 59, 61
Emulsion: 31
Entbindung: 106
Entzugserscheinung: 64
Farbenblindheit: 71
Feinstaub: 24, Felsküste: 153
Femidom: 111, 118
Fernakkommodation: 70
Fette: 27, 31, 33, 39
Fettgewebe: 84
Fetus: 104, 112, 117, 118
Fieberblase: 54, 84
Flachküste: 154
Flimmerhärchen: 23, 94
Flut: 150, 153, 163
Follikel: 94, 103
Fontanellen: 5
Fransentrichter: 93
Fruchtblase: 104
Fruchtwasser: 104
Fruchtzucker: 27, 132
Fructose: 27, 132
Frühgeburt: 106
FSH (Hormon): 94
Fußgewölbe: 7
Galle: 31, 33, 36
Gallenblase: 31, 33
Gasaustausch: 23, 42, 144
Gastritis: 32
Gebärmutter: 88, 93, 100, 103, 110, 112, 118, 127
Geburt: 5, 35, 93, 118
Gegenspieler: 20, 62
Gehirn: 5, 44, 56, 59, 69, 75, 79, 88, 104, 113
Gehörgang: 75
gelber Fleck: 69
Gelbkörper: 94, 103
Gelbsucht: 36
Gelenk: 7, 8, 11, 15, 17, 19, 92
Gentechnik: 127
Genussmittel: 44
Gerinnung: 28, 33, 39, 44, 127
Gerstenkorn: 72
Geschlechtshormon: 88, 93, 95
Geschlechtskrankheit: 109, 113, 117
Geschlechtsorgan: 62, 93, 99, 113, 117
Geschlechtsverkehr: 94, 99, 103, 109, 113, 117
Geschmacksknospen: 80
Gezeiten: 150, 153, 163
Glaskörper: 69
Gleichgewichtssinn: 75
Glied: 95, 100
Haare: 84, 104
Halluzinogen: 64, 66
Haltungsschäden: 6, 15
Hammer: 75
Harnblase: 34, 95, 117
Hauptkammer: 41
Haut: 35, 47, 49, 83, 92
Hebamme: 106
Henle-Schleife: 34
Hepatitis: 36, 86, 113, 118
Heterosexualität: 99
Herz: 19, 41, 62
Hirnanhangdrüse: 87, 94
Histamin: 56, 84
HI-Virus: 55, 114, 118
Hoden: 87, 95
Hohlmuskel: 20, 41, 93
Homosexualität: 99
Hormon: 14, 28, 33, 39, 63, 87, 93, 103, 111
Hormondrüse: 34, 87
Hörnerv: 75
Hornhaut: 69
Hornschicht: 56, 83
Humboldtstrom: 149
Hymen: 93
Entzündung: 24, 32, 36, 40, 44, 48, 53, 56, 72, 76, 84, 92, 113
Enzym: 31, 33, 127
Epidemie: 24
Epiphyse: 14, 87
Erbanlage: 103, 118, 119
Erektion: 95, 117
Ernährungspyramide: 29
erogene Zone: 100
Erregung: 60, 62, 69, 75, 79, 93, 100
Gliedmaßenskelett: 5, 7
Glucose: 27, 87, 132
Golfstrom: 149
Gonorrhöe: 113
Grauer Star: 72
Grippe: 54
Großhirn: 59
Großhirnrinde: 59
Großstadtklima: 144
Blutkörperchen: 11, 23, 39, 47, 56, 91
Blutplasma: 39, 47
Blutplättchen: 39, 48, 49
Blutspende: 40
Erste Hilfe: 18, 46, 55
Erythrocyten: 39
Ess-Brech-Sucht: 29
Eustachische Röhre: 75
Grüner Star: 72
Gürtelrose: 54
GVO: 142
Gynäkologe/in: 109, 112, 117
Hypophyse: 87
Immunisierung: 51
Immunsystem: 47, 54, 56, 92, 113
Impfpass: 51
Infarkt: 44, 87
Infektion: 24, 36, 39, 47, 49, 53, 63, 72, 83, 92, 96, 106, 113, 118
Inkontinenz: 35
Inkubationszeit: 53
Insulin: 87, 128
Intimpflege: 96
Iris: 69
Kalendermethode: 110
Kapillare: 23, 32, 43, 47, 69
Karies: 32
Kehlkopf: 23
Keimdrüse: 87
Keimschicht: 83
Killerzelle: 50
Kilojoule: 27
Kilokalorie: 27
Kleinhirn: 59
Klitoris: 93, 95
Klon: 127
Knaus-Ogino: 110
Knochen: 5, 11, 17, 19, 59, 88, 91, 92
Knochenmark: 11, 39, 48
Knochenverbindungen: 8
Knorpel: 5, 6, 8, 11
Koffein: 63, 64
Kohlenhydrate: 27, 31, 33, 87
Kohlenstoffdioxid: 23, 39, 47; 143, 159, 168
Kokain: 64
Kokken: 53, 113
Kondom: 55, 109, 111, 113, 117, 118
Kontaktinfektion: 50
Korallenriff: 159
Körperkreislauf: 41
Körpervene: 47
Krampfadern: 43
Krankheitserreger: 24, 39, 47, 53, 96, 105, 113
Kreuzen: 119, 125
Krill: 150, 153, 155, 167
Kulturfolger: 139
Kulturpflanze: 125, 131
Kurzsichtigkeit: 72
Küstenzone: 153
Lactose: 27
Lagesinn: 76
Langerhans-Inseln: 87
Leber: 31, 33, 42, 87, 114
Lederhaut: 69, 83
Leukocyten: 39
LH (Hormon): 94
Linse: 69
Litoral: 153
Lues: 113
Luftröhre: 23
Luftverschmutzung: 80
Lunge: 23, 39, 41, 55, 62, 65, 106, 114, 155
Lymphflüssigkeit: 47, 49, 53
Lymphgefäß: 32, 34, 47
Lymphknoten: 39, 47
Magen: 29, 31, 50, 62, 127
Magengeschwür: 32
Magersucht: 30, 64
Maltase: 32
Malzzucker: 32
Mandeln: 48, 53, 80
Masern: 51, 54
Massentourismus: 164
Masturbation: 99
Medikament: 32, 35, 44, 54, 64, 104, 112, 117, 127
Meeresströmung: 149, 155, 163
Meerwasser: 149, 163, 168
Mehrfachzucker: 27, 87
Mendel-Regel: 121
Menstruation: 30, 93
Methamphetamin: 66
Mikroorganismen: 47, 127, 132
Milchzucker: 27
Milz: 48
Mineralstoffe: 28, 92, 150, 154
Mittelhirn: 59
Mittelohrentzündung: 76, 92
Müllentsorgung: 133, 148
Mumps: 51, 54
Mund: 23, 31, 47, 65, 113
Muskeln: 6, 11, 19, 31, 41, 60, 69, 83, 84, 87, 91, 93
Muskelpumpe, 43
Mutation: 125
Mutter-Kind-Pass: 105
Muttermilch: 106
Muttermund: 93, 103, 111
Mutterschutzgesetz: 106
Myofilament: 20
Nabelschnur: 104, 117
Nachgeburt: 106
Nachhirn: 59
Nahakkommodation: 70
Nährstoffgruppen, 27, 31
Nase: 23, 49, 65, 69, 79
Nebenhoden: 95
Nebenniere: 34, 87
Nebenschilddrüse: 87
Nephron: 34
Nervenzelle: 59, 71, 76, 79, 93, 104
Netzhaut: 69
Neurit: 69, 71
Neurotransmitter: 59
Nikotin: 26, 64, 104
Nutztier: 125
Oberhaut: 56, 83
Ohr: 49, 75, 92
Opiate: 64, 66
optische Täuschung: 71
Orgasmus: 95, 100, 103, 118
Osteoporose: 12, 17
Östrogen: 14, 88, 94
ovales Fenster: 75
Ovarien: 93
Pankreas: 87
Papillen: 80
Parasympathikus: 59, 62
Paukengang: 75
Pearl-Index: 109
PECH-Regel: 18
Pektine: 27
Pelagial: 153, 155
Penis: 88, 95, 103, 110
Peristaltik: 28, 31
Petting: 100
Pflanzenzucht: 126, 131
Pfortader: 33, 42
Pförtner: 31
Phytoplankton: 150, 155, 168
Pigmentzelle: 83
Riechfeld: 79
Riechhärchen: 79
Riechschleimhaut: 23, 79
Riechsinneszellen: 79
Rindenfeld: 60
Rohstoffquelle: 163
Röteln: 51, 54
Rübenzucker: 27
Rückenmark: 5, 6, 59, 61, 84
Rumpfskelett: 6
Saccharose: 27
Salmonellen: 53
Samenflüssigkeit: 55, 95, 100, 103, 114
Samenleiter: 95, 111
Satellitenstadt: 134
Saumriff: 159
Säureschutzmantel: 47
Schambehaarung: 88, 93
Schamlippen: 93, 111
Schaufensterkrankheit: 44
Scheide: 56, 88, 93, 100, 103, 106, 110, 113, 118
Scheidendiaphragma: 111
Schelf: 153, 159
Schilddrüse: 87
Schlaganfall: 44
Schleimhaut: 31, 47, 49, 93, 113
Schleimschicht: 24, 79
Schlick: 154
Schnecke: 75, 150, 154
Sucht: 29, 64, 91
Sympathikus: 59, 62
Synapse: 59
Synergist: 20
Syphilis: 53, 113
Talg: 72, 83, 96
Taschenklappe: 41
Temperaturmethode: 110
Temperaturregelung: 83
Testosteron: 14, 88, 95
Tetanus: 53
Schnüffelstoffe: 64
Schultergürtel: 6, 91
Schutzimpfung: 51
Schwangerschaft: 33, 40, 103, 109
Schweiß: 47, 69, 83
Schwellkörper: 95
Schwerhörigkeit: 76
Segelklappe: 41
Sehne: 11, 19, 84
Sehnerv: 69
Selektion: 125
Sesambein: 11
Pilz: 24, 48, 53, 55, 66, 83, 114, 127, 144
Plattformriff: 159
Plazenta: 104
Pornografie: 117
Portiokappe: 111
Prellung: 17
Prionen: 56
Progesteron: 94, 104
Prostata: 95, 117
Protisten: 56
Pubertät: 48, 88, 93, 99, 118
Pupille: 62, 69
Quellvermögen: 28
Querschnittslähmung: 61
Reflex: 61
Regelblutung: 94, 103, 109
Regenbogenhaut: 69
reinerbig: 120
Resorption: 32
Rezeptor: 79, 84
Rhesusfaktor: 40
Sinnesfunktion: 83
Skelett: 5, 11, 15, 19, 156, 159
Slum: 133
Smegma: 96
Smog: 136
Sonnenbrand: 84
Spaltungsregel: 121
Speiseröhre: 20, 29, 31
Spermien: 94, 95, 110, 118
Spirale: 111
Stäbchen: 71
Stammform: 125
Stärke: 27, 31, 132
Staubglocke: 135
Steigbügel: 75
Steilküste: 153
Steißlage: 106
Sterilisation: 111
Stoffwechsel: 18, 28, 33, 47, 53, 60, 87, 127
Stress: 32, 53, 63, 64, 84, 87
Streusalz: 144
Stützfunktion: 5
Thrombose: 43, 44
Thymusdrüse: 48, 87
Tiefsee: 150, 156
Tierzucht: 119, 126
Titerbestimmung: 51
Tochtergeneration: 119
Transportweg: 163
Transsexualität: 99
Traubenzucker: 27, 32, 39, 87, 132
Trichomonaden: 113
Tripper: 113
Trommelfell: 75
Tröpfcheninfektion: 50, 53
Tuberkulose: 24, 53
Überfischung: 163
Unabhängigkeitsregel: 122
Unfruchtbarkeit: 30, 113
Uniformitätsregel: 121
Unterhaut: 56, 83
Vene: 35, 42, 47, 66
Venenklappe: 43
Venushügel: 93
Verdauung: 27, 31, 53, 62
Veredelungsstelle: 127
Vererbung: 119
Verhütung: 109, 117
Viren: 24, 48, 53, 72, 96, 114, 118
Vitamine: 28, 32, 39
Vorhaut: 95, 117
Vorhofgang: 75
Vorhofsäckchen: 75
Vorkammer: 41
Vorsteherdrüse: 95
Wachstumsfuge: 14
Watt: 154
Weitsichtigkeit: 72
WHO: 43, 63
Wirbelsäule: 6, 11, 15, 34
Wurmfortsatz: 32, 48
Zapfen: 71
Zellatmung: 33
Zirbeldrüse: 87
Zooplankton: 150, 155
Zucht: 125, 131
Zuckerkrankheit: 44, 87, 128
Zunge: 80
Zweifachzucker: 27
Zwillinge: 118, 119
Zwischenhirn: 59
Zwölffingerdarm: 31
123rf.com/Oleksandr But: 111/5
Alfred Pasieka / Science Photo Library / picturedesk.com: 12/2
AnnaMariaThor / istockphoto: 114/2
Annsunnyday / dreamstime: 28
APA-Grafik / picturedesk.com: 25/2, 26
ARGE Gentechnik-frei: 128/3
Barry Croucher (c) Dorling Kindersley: 153/1
Brigitta Hellerschmidt: 119/2, 126/4, 126/5, 128/1
Christian Monyk: 5/1, 7/5, 7/6, 12/3, 15/1, 16/2, 25/4, 32/4, 40/1, 40/2, 40/3, 40/4, 40/5, 43/3, 51/2, 51/3, 54/2, 54/3, 56/4, 61/2, 61/3, 61/4, 67, 70/1, 70/2, 70/3, 70/4, 70/5, 71/2, 71/3, 73/1, 73/2, 73/3, 73/4, 73/5, 74/1, 75/3, 76/1, 76/2, 107/2, 120/5, 121, 122/1, 122/2, 123/3, 129/2, 144/1, 148/1, 148/3, 149/1, 149/2, 149/4, 150/1, 151/2, 154/5, 157/1, 157/2, 159/7, 159/8, 159/9, 161/1, 162/1, 168/3, 169/4, 170/2 Claus Lunau / Science Photo Library / picturedesk.com: 49/2 Cosmopolitan: 29/5 doc-stock.com/Medillust: 83/1, 105/1, 105/2, 105/3 Dorling Kindersley: 8/3, 8/4, 8/5, 8/6, 8/7, 8/8, 8/9, 8/10, 9/2, 9/3, 9/4, 32/2, 75/2 faces of meth: 66/5 fotolia.com: Alexander Kaludov: 71/7, Alila: 41/1, 41/2, 41/3, 41/4, 59/1, 69/1, 87/1, 89, Alxhar: 33/1, Andrea Danti: 23/2, 23/4, arsdigital: 34/3, b4producer: 128/2, Balint Radu: 103, bilderstoeckchen: 111/2, bilderzwerg: 32/3, Elena Baryshkina: 93/1, Ericos: 7/3, freshidea: 34/4, Heiko Barth: 72/3, Higyou: 7/4, Horst Schmidt: 147/4, jaddingt: 140/1, JPC-PROD: 111/3, Juan Alzamora: 136/2, Kica Henk: 132/2, lom123: 31/2, marilega: 7/2, 93/4, mystock: 164/4, Nastasia Froloff: 111/8, olenkat: 7/1, p6m5: 42/1, 45, Peter Hermes Furian: 72/1, 72/2, pixelcaos: 23/1, 41/5, 63/3, rob3000: 23/3, Sebastian Kaulitzki: 42/3, Sergii Shalimov: 15/2, turhanerbas: 111/7, yvart: 78
Gary Hanna (c) Dorling Kindersley: 157/3
Giuliano Fornari (c) Dorling Kindersley: 105/4 Greenpeace: 164/5
Joanna Cameron (c) Dorling Kindersley: 48/1
Jupiterimages: 52/2, 143/1, 146/1
Kevin Jones (c) Dorling Kindersley: 20/1, 22/2, 80/3
Kurt Kracher / picturedesk.com: 147/2
Legger / dreamstime: 43/1, 43/2
Macmillan Children's Books, London, UK, Q&A Human Body, Angela Royston: 3/5
Martin Hirsch / APA-Grafik / picturedesk.com: 25/1
Medical Art Inc / istockphoto: 69/3
Mikkel Ostergaard / Visum / picturedesk.com: 65/2
Miles Kelly: 20/4
Mirashade (c) Dorling Kindersley: 79/1
Peter Newrkla: 5/3, 5/4, 24/1, 24/2, 159/4, 159/5, 159/6
Pfizer Corporation Austria: 114/1
photos.com: 16/3, 29/1, 39/3, 46/1, 48/2, 66/1, 73/6, 77, 94/2, 95/1, 116/1, 130/1, 130/2, 130/4, 135/3, 143/3, 162/5, 163/3, 165/1, 166/1, 166/2, 166/3, 169/1, alberto gagna: 17/3, Alel: 173/8, Alena Brozova: 151/1, Alex Brosa: 105/6, Alexandr Mitiuc: 6/4, 8/12, 127/2, Alexey Bannykh: 145, Alexia Khruscheva: 24/2, alexokokok:44/1, amanalang: 96/5, Anatolii Tsekhmister: 131/6, Anatoliy Samara: 3/2, 29/3, Andesign101: 106/1, Andrea Sturm: 136/3, Andrej Kropotov: 141/2, Andrey Kuzmin: 131/4, Andriy Petrenko: 109/1, Andrzej Tokarski: 111/6, Anna Kucherova: 130/5, Anna Rutkovskaya: 66/6, ariwasabi: 44/3, 86/2, Arman Zhenikeyev: 15/3, Artem Povarov: 57/2, ARTindividual: 135/1, -art-siberia-: 25/3, 63/1, Artur Gabrysiak: 42/2, axz66: 25/6, Barabasa: 96/4, Bela Tiberiu Attl: 46/3, 46/3, 46/4, 46/5, Benjamin Albiach Galán: 132/1, Bernd JArgens: 125/3, beti gorse: 84/3, Boris Khamitsevich: 66/3, branislav ostojic: 55/3, brytta: 150/2, CandyBoxImages: 18/1, Carolina K. Smith,M.D.: 140/7, cate_89: 18/5, Catherine Yeulet: 65/3, 99/2, 119/1, Chad Zuber: 9/1, Chris Williams: 105/5, Chris Wolf: 139/8, Christian Musat: 162/3, Christopher Brignell: 126/2, Christopher Pattberg: 153/7, Chuck Babbitt: 155/6, CITAlliance: 62/2, 62/3, Comstock: 27/2, 98/2, 96/2, 106/3, 137/2, 143/2, 154/6, 156/4, 160/5, 164/3, 173/9, cynoclub: 160/6, 161/2, 162/4, Daniel Ivascu: 52/4, Daniel Kaesler: 100/3, Darren Brode: 104/1, David Marchal: 5/2, Dean Mitchell: 65/1, 90/2, dedMazay: 102/1, 102/2, 170/4, desertsolitaire: 126/1, Deyan Georgiev: 18/2, diego cervo: 134/6, Dmitriy Kalinin: 165/3, Dmitriy Shironosov: 83/2, Dmitry Gool: 130/6, Dmitry Naumov: 96/1, DrPAS: 173/4, Du?an Zidar: 162/6, 173/3, ego450: 137/1, Elena Schweitzer: 27/1, 29/2, Elena_Geurkova: 52/1, Eric Isselée: 4/2, 4/3, 4/4, 79/3, 84/4, 91/3, 124/1, 124/4, 140/8, 141/1, 142/2, 147/3, 173/1, 173/12, Eugenio Opitz: 155/4, EuToch: 134/4, Evgeny Tomeev: 169/2, Eyeidea: 163/2, 165/6, felinda: 125/5, Feng Yu: 130/7, Focus_on_Nature: 126/3, Foxtrot101: 164/2, Francesco Ridolfi: 137/3, Frans Rombout: 169/3, 173/14, g_muradin: 136/1, Gabriela Lupu: 163/6, Galina Ermolaeva: 123/2, Gary Woodard: 55/1, Gene Krebs: 127/1, George Doyle: 47/3, 99/4, Georgios Alexandris: 135/2, Gerard Koudenburg photography: 167/2, Hemera Technologies: 92/1, 98/1, 115/1, 115/3, 139/1, Henrik Larsson: 140/2, 142/3, HumanPictures: 95/2, 95/3, Iakov Filimonov: 131/1, Iaroslav Danylchenko: 18/3, Igor Shikov: 22/1, istella: 144/4, Iurii Lupol: 91/4, Iurii Timashov: 62/1, Ivan Ivanov: 125/6, Ivan Kmit: 55/5, Jacek Chabraszewski: 3/1, 62/4, 62/5, jack0m: 59/5, Jacob Wackerhausen: 100/1, Jakob Braun: 131/5, Jana Blašková: 22/3, 33/2, 49/3, 50/2, 172, Jochen Schönfeld: 93/2John Foxx: 20/3, John Kershner: 139/3, John Sommer: 61/5, JoolsBerlin: 123/1, Jose Manuel Gelpi Diaz: 124/5, Josefkubes: 133/2, Juan Vicente Muñoz de Morales Martínez: 134/2, Ju-Lee: 154/1, 173/5, Jupiterimages: 104/3, 117/2, 134/1, 139/4, 139/6,
144/2, 150/3, 153/4, 154/2, 155/3, 155/7, 159/2, 168/4, Kameel: 17/2, khorzhevska: 52/5, Kiesha M: 72/4, Kirsty Pargeter: 50/1, KristopherWeiker: 153/3, Kurhan: 117/1, Leah-Anne Thompson: 27/4, leonello calvetti: 8/1, 31/1, 31/3, 37, Levent Konuk: 162/2, Linda Bucklin: 10/1, 13, 19, 30/1, 171, Liquidlibrary: 153/6, Lisa F. Young: 44/2, Liv Friis-Larsen: 55/4, liveostockimages: 56/5, lovleah: 30/4, luca santilli: 125/2, luchschen: 27/5, MadaGheorghe: 131/2, Marek Slusarczyk: 146/2, marekuliasz: 90/1, Maridav: 92/2, Marina Lvova: 74/2, Mark Ross: 138/1, Markus Schieder: 133/1, mart_m: 52/3, Martin Bowker: 153/2, Martin Dimitrov: 36/3, Martin Lladó: 106/2, martin painhart: 143/4, Matthew Cole: 88, 152, max homand: 139/2, Max Popov: 170/3, Metin Cengiz Bar: 56/1, Michael Sick: 168/1, Michał Różewski: 131/3, Mika Makelainen: 133/3, 133/4, Milan Klusacek: 133/5, MogensTrolle: 173/7, MR1805: 173/10, Nadezhda Kulagina: 159/3, Nancy Nehring: 140/10, 153/5, Natalia Lukiyanova: 107/1, Nickos: 165/2, Nigel Miller: 164/1, Nikolai Tsvetkov: 124/3, Nobilior: 165/5, Oksana Kovach: 65/4, olavs silis: 84/1, Oleg Kozlov: 148/2, Olivier Lantzendörffer: 167/1, Paffy69: 30/3, Paolo Cipriani: 160/3, paul hill: 134/5, Paulina Lenting-Smulders: 142/1, pederk: 116/2, PeJo29: 47/1, 51/1, Peter Jurik: 138/2, Petr Podzemny65/6, Petro Feketa: 134/3, Phil Date: 115/2, Phil Reid: 165/4, photoBeard: 6/3, photos_martYmage: 65/5, Picsfive: 36/2, Pi-Lens: 144/5, Pixland: 99/1, 113/1, Rafael Ramirez Lee: 163/1, Ranapriya Dias: 163/5, Richard Carey: 155/5, 160/1, 162/7, 166/5, Rick Jones: 139/5, Ridofranz: 4/1, ronstik: 18/4, Saša Prudkov: 108, s-dmit: 170/1, Sebastian Kaulitzki: 3/3, 6/1, 6/2, 21, 32/1, 39/2, 48/4, 49/1, 54/1, 57/1, 59/2, 59/4, 94/3, seenivas: 16/1, 17/1, 30/2, 63/2, 66/4, selimaksan: 117/3, Sergey Borisov: 147/1, Sergey Furtaev: 91/2, Sergii Dibrova: 160/2, 173/11, SergiyN: 12/1, SerrNovik: 68, Stefan Hermans: 87/3, Stephen Sweet: 61/1, Stockbyte: 4/5, 8/11, 27/3, 41/6, 91/5, 99/3, 149/3, StockSolutions: 130/3, Svitlana Niedielska: 101/1, Svitlana Pidburtna: 101/2, T.W. van Urk: 163/4, tagota: 39/4, Tammy Bryngelson: 84/2, Tatiana Gladskikh: 35, Terence Mendoza: 154/7, Thinkstock: 25/5, 81, 96/3, 159/1, Tim Osborne: 87/2, Tom Brakefield: 160/4, Travis Totz: 148/4, vaeenma: 125/4, Viorel Sima: 30/5, wawritto: 109/2, webphotographeer: 86/1, winterling: 66/2, Yali Shi: 151/3, Zeljana Dubrovic: 144/3 pressrelations GmbH: 36/1
Roos Koole / ANP / picturedesk.com: 100/2
Science Photo Library / picturedesk.com: 11/1, 20/2, 60/2 shutterstock.com: Alex Luengo: 3/4, 71/1, 75/1, Asianet-Pakistan: 118/2, Blamb: 47/4, 111/4, Carolina K. Smith MD: 95/4, CLIPAREA l Custom media: 60/1, DDCoral: 47/2, Grei: 94/1, hkannn: 80/1, Nixx Photography: 39/1, stihii: 8/2
Tony Graham (c) Dorling Kindersley: 34/1, 48/3 Vogue: 29/4
wikimedia commons: 54/4, 91/1, 120/1, 120/4, 129/1, 131/7, 140/4, 140/6, 154/4, 156/1, 173/16, André Karwath aka: 140/3, Anton: 71/4, Bautsch: 71/5, 71/6, Ceridwen: 111/1, 112, Dake: 111/9, David Csepp: 156/2, Dr. Davic Cox: 113/2, Dr. Dwayne Meadows, NOAA/NMFS/OPR: 168/2, Drgnu23: 56/2, E. Kirdler: 155/8, Ecorahul: 56/3, Ed Uthman, MD: 104/2, Einstein 02: 125/9, Fadi: 40/6, Fritz Geller-Grimm: 140/11, 142/4, Greyson Orlando: 70/6, 70/7, H. Zell: 125/7, Hans Hillewaert: 173/6, Iblis-Lakon: 140/5, JJ Harrison: 173/15, José-Manuel Benito Álvarez: 158/1, Josuevg: 173/13, Keith Williamson: 154/3, Kobako: 127/3, Kulac: 125/1, Losch: 139/7, Malene Thyssen: 167/4, Masur: 87/4, Michael Blackburn: 118/1, Michael Jung: 166/4, Michaelbladon: 53/3, Mingorance Rodríguez: 155/2, 173/2, National Human Genome Research Institute: 120/2, 120/3, NCI-Frederick: 39/5, NEON: 155/1, Olei: 140/9, P. Rona: 156/5, Patrick J. Lynch: 69/2, PD-USGov-HHS-CDC: 55/2, Prof. Francesco Costa: 156/3, Ralf Roletschek: 93/3, Rocky Mountain Laboratories, NIAID, NIH: 53/1, 53/2, Susan Mayfield and Sara Boore: 161/3, Sven Teschke: 125/8, 125/10, T. Bjornstad: 167/3, theEmirr: 59/3, U.S. National Cancer Institute's Surveillance, Epidemiology and End Results (SEER) Program: 47/5, Uncle of L. B. Tettenborn: 139/9, US National Oceanic and Admonspheric Administration: 158/2
www.msc.org: 167/5
Zygote Media Group (c) Dorling Kindersley: 11/2, 34/2, 43/4, 79/2, 80/2, 82