
Unit Brief
The Unit regard climatic systems of energies, assembled material built system and our biological system of body and perceptions as 3 systems that possess their own operating logic but when deployed simultaneously, could be integrated into a closed energy loop. Through a biomimetic approach, students will seek to integrate architecture with structure, energy performance and poetic, spatial atmospheres as outcomes of generative, comprehensive complex systems.
Guest critics, lecturers and consultants
Ar Wu Yen Yen (Studio Tutor)
Ar Christina Thean (Park+Associates)(Guest Reviewer)
Ar Lim Wee Kiat (SH Lim Architects) (Guest Reviewer)
Federico Ruberto (Studio Tutor)
Ar Christo Meyer (NUS-DOA) (Guest Reviewer)
Ar Chan Wai Kin (Studio Tutor)
Ar Richard Ho (RichardHO Architects) (Guest Reviewer)
Ar Chu Lik Wen (CPG) (Guest Reviewer)
Ar Ng San Son (Studio Tutor)
Ar Lee May Anne (Makk Architects) (Guest Reviewer)
Ar Ho Tzu Yin (LAUD Architects) (Guest Reviewer)
Ar Betrand Tan (MVRDV) (Guest Reviewer)
Ar Chin Kean Kok (Studio Tutor)
Ar Chang Yong Ter (CHANG Architects) (Guest Reviewer)
Alan Lau Te Hong (Fosters + Partners Singapore)(Guest Reviewer)
Yong Siew Oon (DPSD-Sustainability Engineer)
Lim Keong Liam (ARUP-Structural Engineer)
Acknowledgements:
We would like to thank Tai Lin(TA) and Syafiq(TT) for their guidance and Sean The and Bryan Lee for arranging the Unit Report
Studio Wu Yen Yen
Condensing Caverns by TheZhiXianSean
AIRism by LiewChooYee Alison
Under the Sun by WooGeeCheng,Cherrie
Dew Ducts by NellieLeongLexuan A Pile of Earth? by DianaKondratova
Solarium Arcadia by ZhangXuanqi
Studio Federico Ruberto
Scelerotia by SoonLinLydia
Avian Oasis by SereneLaw
RESPI”LAB”TORY by MichelleLim
Decaying Dreamscapes by WongYiXuen time(mass)x by TanWanTheng
The Plastic Terrarium of the Wind by KangShiqiang
Studio Chan Wai Kin
SUBTERRA BREEZE byYangDa
Solar Springs by RyanHoZiHao
Light the way by ShuqiTan
Weather Basket by NgHuiXin
Roots by AngelaLuo
Tropical Lumina by FerandraTiodora
Solar-Ponics by JoelKumQiEn
Hydro Oasis by LeeZhuoYao Pineal Bloom by ReannaLeiFrancisco
Studio Ng San Son
Sown in Rain by BryanLeeJiaEn
Tubular Lights by NgSangTengSheena
Mycoscape by HengLiyingSarah
The Hydrosphere by CaresseAudreyChia
Mothyards by EmilHarrisBinJefree
Treeflow by TangYunting
Skyscapes by LowYueQing
Hive-Minded by XuZhou
Lotus and Rain by JuanRafaelSalinasPanopio
Studio Chin Kean Kok
Mangrove Grows and Flows by ZhangLewen
Flutter-A Butterfly Research Centre by PengYating
Rethinking Urban Water by OngJin,Honey
Drop of Change by LucyYinShuYi
Arachnodome by EllaPrescott
Wind Wave by SzeZoEy
In Every Breeze by JordanYeo
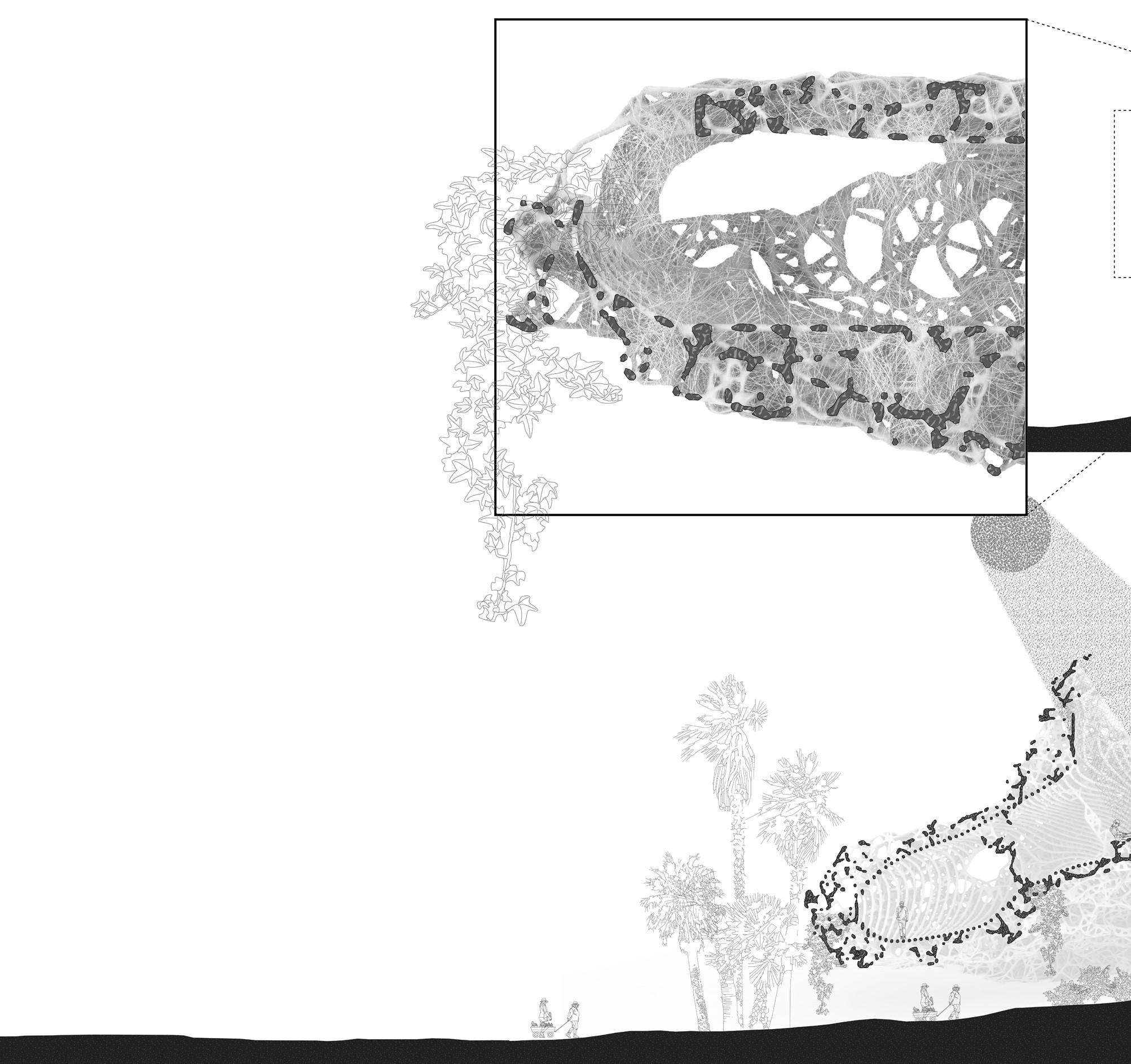
Symbiont: Towards an Ecocentric Architecture by GlenAngXunZhe
UNIT 2: MATTER MATTERS
StudioWuYenYen
Aquadyne Research and Recreational Centre
byYuanZiXinGrace









