Skip to main content

Boletín GREAVI Enero 2025

Page 1


ENERO 2025

CARBOHIDRATOS

FUNCIONALES A LA VANGUARDIA DE LA NUTRICIÓN AVÍCOLA

Actividades GREAVI 2025

Amenazas sanitarias

Desde la GREAVI, le damos la bienvenida al año nuevo, cargados de optimismo y confianza de nuestra capacidad como sector empresarial de hacer frente a los grandes desafíos que desde el inicio del año se presentan para nuestra industria. El 2024 finalizó con una situación de mercado muy complicada para el pollo de engorde, y con las mismas dificultades en los puertos y carreteras que nos afectaron durante todo el año. A esto se suman atrasos en los trámites para obtener permisos de importación de insumos para la producción. El sector completo se enfrenta a la necesidad de ser más eficiente para compensar los efectos negativos de estas problemáticas.

Adicional a esto, el sector necesita aumentar su mercado para seguir creciendo de la forma como lo ha hecho y continuar generando ganancias. Ya se percibe un volumen de producción que el mercado no consume de manera fluida, afectado y distorsionado por el

comercio ilícito, cuya magnitud es difícil de cuantificar. Sin embargo, en ciertos momentos, como ocurrió en los últimos meses del año pasado, los ilícitos ejercen una gran presión sobre los precios y el desplazamiento, especialmente del pollo gordo en pie.

Por si fuera poco, recibimos también el año con otro incremento al salario mínimo, el cual genera la falsa impresión de ayudar a las familias de clase trabajadora, pero en realidad a corto o mediano plazo, compromete muchas plazas de trabajo y además genera inflación. No nos parece que la decisión se haya tomado con el mejor criterio técnico, afectando tanto al empleo como a la competitividad del país.

Aun así, bienvenido 2025, con nuestro esfuerzo e ingenio, estamos seguros de continuar abasteciendo a los hogares de la mejor proteína al mejor precio posible.

José Manuel Segovia Presidente Gremial de Avicultores - GREAVI

JUNTA DIRECTIVA

José Manuel Segovia Presidente | Enrique Font Vicepresidente

Mario Ávalos Secretario | Mario Hun Tesorero

Mariano Carrera Vocal 1 | Marco Vinicio Solorzano Vocal 2

Byron Urrutia Vocal 3 | Jorge Ávalos Vocal 4

EDITORES

Mariano Carrera | Lesly Fernández Directora Ejecutiva Gremial de Avicultores

Contacto: lfernandez@industriaguate.com 4154-3080

Diseño y diagramación: Johana Hernández

ACTIVIDADES GREAVI 2025

El año nuevo es una buena oportunidad para evaluar el trabajo de la gremial, y también para organizar y ordenar todas las ideas de lo que vamos a hacer a lo largo del año, las cuales queremos compartir en este artículo.

Una de las actividades, es la elaboración del presente boletín bimensual, que inicia ya la andadura de su tercer año de publicación, el cual seguirá adelante con las características conocidas de difundir información de actualidad en un formato al alcance de todos, incluyendo a los anunciantes que año con año nos dan su confianza.

Seguirá también el programa de charlas mensuales, algunas serán en formato presencial y otras de manera virtual, tratando de cubrir los temas de interés, siempre desde la perspectiva técnica. Nos interesa cubrir temas de sanidad, nutrición, manejo, instalaciones, genética, principalmente.

En esta sección de la capacitación proporcionada por la GREAVI, también se incluye la certificación avícola, cuya segunda edición se llevará a cabo este año. Creemos que la primera edición cubrió con creces el objetivo, debido a la gran convocatoria y al gran nivel de los expositores. En la primera edición tuvimos 75 inscritos, la mayoría de Guatemala, pero también participantes de otros 5 países.

También llevaremos a cabo la cuarta edición del Día del Avicultor, con la novedad de haber trasladado la fecha al 20 de agosto, tratando de evitar la concentración de eventos que tiene lugar a fin de año. Nos parece que el formato de este evento ha sido sumamente exitoso, por lo que en su esencia debe mantenerse.

El año pasado, la GREAVI celebró con éxito la tercera edición del Día Internacional del Huevo. Para este año, el objetivo es continuar en esa misma línea, aunque el enfoque aún se encuentra en proceso de definición. El éxito alcanzado nos ha motivado a explorar la posibilidad de celebrar también un evento similar, denominado “El Día del Pollo”. Actualmente, nos encontramos evaluando las mejores opciones para llevar a cabo esta celebración de manera efectiva.

Además, la GREAVI mantiene una actividad constante para atender las necesidades de los agremiados en cuanto al apoyo que pueda venir de las autoridades, principalmente del Ministerio de Agricultura, Ganadería y Alimentación (MAGA) y Ministerio de Gobernación (MINGOB). Con el MAGA hay una interacción constante con los despachos tanto del Señor ministro como con los viceministerios, debido a los temas de productos biológicos y control de enfermedades, y últimamente por emisión de permisos de importación. Con el MINGOB, la interacción es través de la Comisión de Defensa del Comercio Formal (CODECOF) y otras instancias para estar todo el tiempo solicitando apoyo con el control del comercio ilícito.

La demanda de apoyo frente a los ilícitos podría verse significativamente fortalecida si se utilizara el mecanismo de denuncia anónima puesto a disposición de los agremiados, pero lamentablemente, no se hace uso de él. Además, existe una colaboración con el Ministerio de Medio Ambiente en la elaboración de guías ambientales para el sector avícola y en otros temas específicos de los asociados, igualmente relevantes. En menor medida, la GREAVI, brinda apoyo a sus socios en temas relacionados con otros ministerios, como Salud y Trabajo.

PIENSO COMPLEMENTARIO FACILITA LA RESPIRACIÓN

Pienso complementario para alimentación animal.

Indicado en períodos con condiciones ambientales adversas: altas temperaturas, polvo excesivo, altas concentraciones de gases nocivos, camas en mal estado, alta densidad animal.

Indicado en condiciones de estrés

Indicado únicamente para alimentación animal (Aves/Cerdos)

Propiedades:

Hidrata las mucosas proporcionando una sensación de alivio y refrescante

regenerando el epitelio mucoso

Propiedades mucolíticas y antitusivas

Efecto inmunomodulador

CARBOHIDRATOS FUNCIONALES

A LA VANGUARDIA DE LA NUTRICIÓN AVÍCOLA

Actualmente, se ha ampliado el concepto y aplicabilidad de algunos carbohidratos funcionales como los oligosacáridos resistentes y almidones resistentes dentro de las nuevas estrategias nutricionales dentro de la dieta de las aves, estos han demostrado tener efectos importantes en la mejora de la salud intestinal a través de la modulación de la microbiota intestinal, ya que estos compuestos, de forma normal no son digeridos por el intestino, pero son aprovechados como alimento por las comunidades microbianas benéficas impactando positivamente la salud y productividad (Stephen et al., 2017).

Dentro de los oligosacáridos resistentes se encuentran los galactósidos, los fructooligosacáridos (FOS), los galactanos (GOS), los mananooligosacaridos (MOS) y los xilooligosacaridos (XOS). Los almidones resistentes incluyen varios tipos (Rezende et al., 2021). Los fructooligosacáridos de cadena corta (FOS) son polímeros formados de unidades de fructosa con enlaces glicosídicos β 1-2 que son obtenidos a partir de procesos de síntesis enzimática de sacarosa, al tener este tipo de enlace β, no son hidrolizados en el intestino delgado, pero sí pueden ser degradados por la microbiota del intestino del ave.

Los fructooligosacáridos (FOS) son fermentados por diversos grupos bacterianos, entre ellos las bacterias del género Bifidobacterium y Lactobacillus (Gibson et al., 2010), reconocidas por sus beneficios en la salud intestinal. Estas bacterias promueven la producción de ácidos grasos de cadena corta, que actúan como fuente de energía y generan efectos positivos sobre la motilidad intestinal, el flujo sanguíneo y la absorción de nutrientes. Además, el uso de FOS contribuye al control de bacterias patógenas como Clostridium perfringens (Hofacre et al., 2005), Salmonella y E. coli (Kim et al., 2011). También se ha observado un aumento en la altura y ancho de las vellosidades y microvellosidades, así como una reducción en la profundidad de las criptas (Xu et al., 2003), lo que mejora la integridad de la barrera intestinal, favorece la absorción de nutrientes y previene la entrada de bacterias a la circulación sanguínea. (Figura 1)

Figura 1. Efectos a nivel intestinal de los fructooligosacáridos

Una microbiota equilibrada favorece la producción de mucina, que actúa como una barrera protectora, evitando que las bacterias lleguen al epitelio y entren en la circulación. Además, la mucina ayuda a regular los genes involucrados en la absorción, el metabolismo y la regeneración de células epiteliales. También forma parte del sistema de defensa innato, impidiendo la proliferación de microorganismos patógenos al ocupar los lugares donde estos se adhieren a los enterocitos o competir por los nutrientes. Esto, a su vez, estimula la liberación de lisozimas y defensinas, que ayudan a eliminar los patógenos. (Zocco et al., 2007).

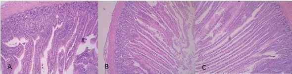
Figura 3. Longitud de las vellosidades y relación vellosidad: cripta en pollos suplementados con fructooligosacáridos de cadena corta (Prefib®) en diferentes concentraciones

Los cortes histológicos pueden evidenciar la diferencia de la morfología intestinal de las aves del grupo control (A) versus las aves suplementadas con FOS (B, C) que presentaban una mejor conformación de la barrera intestinal.

Imagen 1. Corte histológico de vellosidades intestinales en yeyuno de pollos suplementados con FOS, A. Dieta comercial (CONTROL) , B FOS 700 g/Tn, C FOS 1050 g/Tn (CARBOHIDRATOS FUNCIONALES)

Conclusión

El uso de carbohidratos funcionales, como los fructooligosacáridos de cadena corta (FOS), se ha convertido en una estrategia clave para impulsar la productividad y optimizar la salud intestinal. Los FOS no solo potencian las ganancias de peso, sino que también mejoran las conversiones alimenticias y refuerzan la barrera intestinal y estimulan la producción de ácidos grasos de cadena corta, maximizando así el aprovechamiento de nutrientes. Actuando como una poderosa herramienta prebiótica, los FOS fomentan el crecimiento de bacterias beneficiosas que optimizan la absorción de nutrientes y reducen el riesgo de infecciones. El impacto de estas mejoras en la salud y eficiencia alimentaria se traduce directamente en mayores retornos económicos, haciendo de los FOS un componente esencial en la nutrición moderna.

AMENAZAS SANITARIAS

Desde hace varios años, los brotes de Influenza Aviar en los Estados Unidos suelen aparecer a principios de año. Este hecho coincide con varias situaciones, como las migraciones de aves asociadas a los cambios de las estaciones del año. Aunque estos brotes no son los únicos en la región, sí son los que se reportan con cierto orden y de forma confiable. La información de los brotes que puedan existir en otros lugares, como en México, tiende a ser menos precisa y no siempre se obtiene a tiempo.

Si bien las distancias en estos países son muy grandes, existe la posibilidad de que los brotes avancen hacia el sur, desde los Estados Unidos a México. Lamentablemente, el comercio ilícito de productos avícolas desde México a Guatemala aumenta la posibilidad de que el virus se traslade al sur de forma mecánica en los huevos, o a través de las aves vivas que cruzan la frontera.

Cada vez que cambian las autoridades en Guatemala, se tiene la esperanza de que actúen de manera efectiva para eliminar esta forma de comercio que es un delito. Esta práctica no solo afecta la generación de empleo y la recaudación fiscal, sino que también fomenta la corrupción, impulsada por transgresores de la ley que introducen productos ilícitos al país. Asimismo, representa una amenaza significativa para la seguridad alimentaria de los guatemaltecos. Esto es así porque si estas aves o huevos que vienen de México traen alguna de las formas de influenza, pueden causar una epidemia que destruya la producción avícola nacional. Al igual que muchas otras cosas en Guatemala, nos parece que este debe eliminarse, considerando el daño que ya hace y que puede lastimar varios niveles de la vida nacional. La realidad es que década tras década, el problema sigue existiendo, sin importar las autoridades de turno.

Ante esta difícil situación y con poca esperanza de que sea abordada con seriedad por las autoridades, el avicultor continúa trabajando en la bioseguridad de su granja y en ejecutar planes de vacuna robustos

que lo defiendan ante estos posibles desafíos. El término bioseguridad se menciona con frecuencia, pero en la práctica, a menudo se cometen errores significativos. Por ejemplo, es común que, al visitar una granja, un trabajador salga con una bomba de mochila para rociar algo en el vehículo del visitante. Sin embargo, esta y otras prácticas mal ejecutadas equivalen a tratar un síntoma menor mientras se ignora un problema grave. A continuación, se explicará por qué.

El peor caso de errores de bioseguridad tiene que ver con cruces de proceso, los cuales invalidan las prácticas que se hacen, aunque sean correctas. Por ejemplo, permitir la entrada de un camión de un comprador de gallinas de descarte a una granja, incluso después de fumigar sus llantas o todo el vehículo, incluidas las jaulas, es un error crítico. Pensar que la fumigación es suficiente para evitar la contaminación es una idea ingenua. Las jaulas, los camiones y las personas involucradas en la compra de gallinas de descarte no deberían ingresar a una granja. Otro ejemplo el regreso de un camión a la granja para cargar pollos listos para la venta, después de haber estado en el punto de entrega con el comprador mayorista. Esto resulta aún más riesgoso si la granja es de tipo multiedad, como ocurre con frecuencia. Estas prácticas son formas altamente efectivas de introducir infecciones en las granjas.

Otro ejemplo muy común es que la mortalidad no se desecha de forma adecuada, sino que se tira en una fosa poco profunda o en algún basurero en las cercanías de la granja, con la real e inmediata posibilidad de que la saquen los perros que pueden entrar de regreso a granjas que no cuentan con cerca perimetral, provocando un círculo vicioso en el que en determinada región las enfermedades se reciclan de forma continua. Lo mismo se puede decir de la gallinaza o pollinaza, la cual puede mantener virus activos hasta por 90 días, lo cual constituye un gran riesgo de infección si no se dispone de ellas adecuadamente. Por otra parte, no queremos dejar pasar la oportunidad para hacer ver lo dañino que

resulta dejar entrar aves silvestres a las galeras. Es cierto que el negocio puede estar atravesando dificultades, pero el costo de invertir en una malla anti pájaros o de gallinero, que podría sumar unos miles de quetzales, no se compara con las enormes pérdidas causadas por las enfermedades. Permitir el ingreso de aves silvestres a las galeras prácticamente asegura el fracaso de cualquier plan de control y erradicación de enfermedades que se intente implementar.

Hay muchos ejemplos más, a pesar de que el material e información para llevar a cabo planes de bioseguridad que funcionen es de calidad y abundante. Lo que es menos abundante es la voluntad de realizarlos bien, aunque se tengan los conocimientos y los medios para hacerlo. En un ambiente de mercados muy complicados para el pollo de engorde, en los que los márgenes de ganancia pueden estar hasta en rojo, lo que menos se necesita es que haya enfermedades que provoquen todavía más pérdidas. La salud del sector en términos literales, y como negocio, está en juego.

Lo mismo ocurre con otras prácticas que, al hablar con cualquier técnico de campo las conoce y las sabe ejecutar, pero no se llevan a cabo. Esto incluye deficiencias en control de roedores y otras plagas, o

la cloración del agua destinada al consumo de aves. Es alarmante cómo el personal técnico u operativo entra a las galeras con los zapatos que usan fuera de la granja. Es un error básico, pero al mismo tiempo, uno de los más peligrosos. Lo bueno es que todos pasamos con nota alta la boleta de la bioseguridad. La bioseguridad es el sistema más económico para prevenir enfermedades, ya que la mejor manera de controlar una enfermedad es evitar su aparición. Si un agente infeccioso entra a la granja y las aves están bien vacunadas, estas podrán “resistir”, pero no es lo ideal. En este caso, se pierde postura, hay mayor mortalidad, menor ganancia de peso, entre otros problemas. En otras palabras, el daño no es nulo, como sí lo sería si el sistema de bioseguridad previene el ingreso de patógenos. En avicultura, cuando llegamos al punto de necesitar medicamentos, es como si en una guerra o en un partido de futbol perdiéramos la iniciativa, lo único que queda es defender lo que se pueda. Este no es el camino para gestionar una empresa exitosa ni para fortalecer un sector en crecimiento.

El avicultor debe por todos los medios a su alcance, defender su patrimonio con sus propios recursos, sin perder nunca las prácticas básicas y de sentido común, que a veces son las más olvidadas.

Turn static files into dynamic content formats.

Create a flipbook