N9-The Heights Living-Vol.555

Page 1

See Page 12 Committed to providing topquality foot & ankle care FACFAS Meet Dr. Orlando Cedeño Board Certified Podiatric Surgeon The Heights Living VOL. 555-N9 Index Page 9 MYLIVINGMEDIA.COM For What It’s Worth Page 46 Ace of Carts Pages 60-61 Puzzle Page Page 54 24 Hour Floor Pages 4-5
Copyrighted© My Living Media. 2022 All Rights reserved. To Advertise call 772-247-6849 Need More Coupons - MyLivingMedia.com WATER & MOLD DAMAGE EXPERTS WATER & MOLD DAMAGE EXPERTS 24/7 EMERGENCY RESPONSE 24/7 EMERGENCY RESPONSE (561) 878-8082 (561) 878-8082 FULLY LICENSED & INSURED ALLDRYUSA.COM FULLY LICENSED & INSURED ALLDRYUSA.COM NO MONEY DOWN!! WATER DAMAGE & MOLD REMEDIATION NO MONEY DOWN!! WATER DAMAGE & MOLD REMEDIATION GIVE US A CALL IF YOU SEE... GIVE US A CALL IF YOU SEE... WATER STAINS FLOOR BUCKLINGKITCHEN LEAKMOLD BUILDUP QUALITY PROFESSIONAL RESTORATION IS OUR PROCESS QUALITY PROFESSIONAL RESTORATION IS OUR PROCESS OUTSTANDING RESULTS IS OUR GUARANTEE OUTSTANDING RESULTS IS OUR GUARANTEE CALL CALL (561) 878-8082 (561) 878-8082 TODAY FOR A FREE INSPECTION TODAY FOR A FREE INSPECTION $100 REBATE $100 REBATE ON MOLD SERVICES ON MOLD SERVICES MUST MENTION CODE LMM MUST MENTION CODE LMM NO INSURANCE? NO NO INSURANCE? NO PROBLEM! PROBLEM! DIRECT PAY & FINANCING DIRECT PAY & FINANCING OPTIONS AVAILABLE OPTIONS AVAILABLE Fully Licensed Contractors & Mold Remediators #CGC1525977 #MRSR3558
Need More Coupons - MyLivingMedia.com FINANCING AVAILABLE Impact Resistant Fiberglass & Mahogany Entry Doors • Impact Resistant Decorative Glass Inserts Interior Doors • Impact Resistant French & Sliding Glass Doors Call today 561.464.6102 to schedule your FREE SHOWROOM appointment or schedule online FrontdoorsFL.com BOCA RATON | 9858 Clint Moore Rd., Suite C-128 • Boca Raton, FL 33496 Tuesday - Friday • 9am - 5pm Saturday • 9am - 4pm WEST PALM BEACH | 346 Pike Road, Suite 6, West Palm Beach, FL 33411 Monday - Friday • 7am - 4:30pm Saturday • 9am - 2pm JUPITER | 75 E. Indiantown Road, Suite 507, Jupiter, FL 33477 Tuesday - Friday • 9am - 5pm Saturday • 9am - 4pm LICENSE # CBC037800

Awaken the look of your garage, driveway,walkway, patio or pool deck with a 24 HourFloor.

Awaken the look of your garage, driveway,walkway, patio or pool deck with a 24 HourFloor.

• Family Owned and Operated with Offices in Port St. Lucie

• Family Owned and Operated with Offices in Port St. Lucie

• 4 x Stronger Than Epoxy

• 4 x Stronger Than Epoxy

• UV Stable to Avoid Fading & Peeling

• UV Stable to Avoid Fading & Peeling

• Easy to Clean & Stain Proof

• Easy to Clean & Stain Proof

• Drive on it in 24 Hours

• Drive on it in 24 Hours

• 15-Year Warranty

• 15-Year Warranty

• Wide Array of Colors to Choose From

• Wide Array of Colors to Choose From

• Financing Options Available

• Financing Options Available

• Licensed & Insured CBC1264609

• Licensed & Insured CBC1264609

Lori & Paul have been working in the floor coatings business for more than 10 years with the goal to deliver the highest standards of service to our clients.

Lori & Paul have been working in the floor coatings business for more than 10 years with the goal to deliver the highest standards of service to our clients.

4 VOL. 548 H/K Copyrighted© My Living Media. 2022 All Rights reserved. To Advertise call 772-247-6849 Need More Coupons - MyLivingMedia.com
Why Choose 24
Floor: Meet the
DO IT ONCE & DO IT RIGHT
Hour
Founders: Lori & Paul
$500 OFF
Call or text 866-791-1130 today and receive up to
on the purchase of your NEW FLOOR
Why Choose 24
Floor: Meet the Founders: Lori &
DO IT ONCE & DO IT RIGHT
Hour
Paul
up
$500 OFF on
Call or text 866-791-1130 today and receive
to
the purchase of your NEW FLOOR
VOL. 548 H /K 5 Copyrighted© My Living Media. 2022 All Rights reserved. To Advertise call 772-247-6849 CALL OR TEXT 866-791-1130 Visit www. 24HOURFLOOR .com SCAN ME CALL OR TEXT 866-791-1130 Visit www. 24HOURFLOOR .com SCAN ME
6 VOL. 555 N Copyrighted© My Living Media. 2022 All Rights reserved. To Advertise call 772-247-6849 Need More Coupons - MyLivingMedia.com Call for a free in home design consultation and estimate Imagine your home, totally organized! Custom Closets, Garage Cabinets, Home Offices, Pantries, Laundries, Hobby Rooms and more... 40% Off Plus Free Installation Terms and Conditions: 40% off any order of $980 or more or 30% off any order of $680-$979 on any complete Custom Closet, Garage Cabinets, Home Office, Pantry, Laundry, Wall Bed, Wall Unit, Hobby Room or Garage Flooring system. Not valid with any other offer. Free installation with any complete unit order of $600 or more. Expires in 30 days. Call for a free in home design consultation and estimate (561)203-4745 www.closetsbydesign.com MSJ Follow us 2020 © All Rights Reserved. Closets by Design, Inc. Walk-In-Closets Laundry Rooms Home Offices Garage Cabinets Follow us www.closetsbydesign.com CGC1509325 & MC1900055 (561) 203-4745 MSJ
VOL. 555 N 7 Copyrighted© My Living Media. 2022 All Rights reserved. To Advertise call 772-247-6849 Need More Coupons - MyLivingMedia.com FREE ESTIMATES ON NEW A/C UNITS WE SELL, INSTALL, AND SERVICE ALL MAJOR A/C BRANDS! Offer Expires 1/15/23 *Rheem 16 seer A/C unit re ects cash price. Price is based on model numbers RA1618 through RA1660 unit with air RH1T air handler. WIFI T-stat illustration purposes only, not included. Must be straight change out, hooked up to existing copper, electric, thermostat, hurricane tie-downs, vibration pads and slab. Rooftop and R410a retro ts extra. Permits additional. *Synchrony Financing with approved credit. *Basic coil cleaning will be accomplished by using brush vacuum where accessible. *Drain line ush for maintenance purposes only, excludes clogged drain lines. *Free service call with repair, $49 value. I0% off is valid for service related items only. excludes new Ac units. COMMERCIAL & RESIDENTIAL OFFICE HOURS: MONDAY-SUNDAY 7AM-9PM State Licensed HVAC Contractor Lic # CAC058142 State Licensed Mold Assessor Lic # MRSA3162 State Licensed Mold Remediator Lic #MRSR3334 EcoNet® Smart WiFi Thermostat 0% Financing 24-60 Months* (Equal Monthly Payments - Call For Details) 25 YEARS IN BUSINESS SE HABLA ESPAÑOL DUCT CLEANING SPECIAL! $129 · Medical staff · Police · Elderly · Military · Teachers · Expecting Moms Scan for details ScanQR Code to ApplyFor Financing uahac.com * EXTRA 10% OFF FOR 1.5 ton $3,564 2 ton $3,593 2.5 ton $3,962 3 ton $4,023 3.5 ton $4,228 4 ton $4,479 5 ton $4,860 Rotobrush Air Duct Cleaning Deodorizing air handler & ductwork Vacuum air handler liner Brush vacuum coils Brush vacuum outside blower housing Wash and degrease vents Whip down outside air handler cabinet Vacuum accessible areas of air handler closet Free Unlimited Mains (Normally $50 Each) Free AC System Inspection Chemical Rinse Drain Pan Chemical Rinse Drain Line Up to 6 vents Included Additional supply vents only $25 each               561-721-0900 ONLY Scan for details ACT NOW! LIMITED TIME OFFER Exp. 1/15/23 561-721-0900 *with repair A/C Service Call A/C Not Cooling? Leaking Water? Leaking Freon? Freezing Up? FREE Only 561-721-0900 Scan for details ACT NOW! LIMITED TIME OFFER Exp. 1/15/23 Complete A/C Tune-Up $49 · 24-Point Inspection · FREE 1st lb of Freon* · Add Solution to A/C Drain · Add Algaecide Tablets to Drain Pan · Coil Deodorizer* · FREE Drain Line Flush* · Water Damage Inspection with Moisture Meter · In Place Chemical Flush of Evaporator Drain Plug · Add Algaecide Tablets to Drain Pan · Add DrainSolve Cleaning Solution to Drain Line Only 561-721-0900 Scan for details ACT NOW! LIMITED TIME OFFER Exp. 1/15/23 $19 A/C Leaking Water?
2 LOCATIONS Mall, Jensen Beach COHEN’s COHEN’ OptiCal Pinecrest Lakes Including Hollycreek & Timberwick Living VOL. 549-A7 MYLIVINGMEDIA.COM $1000 OFF JetSetter Membership Indian River Shores Living MYLIVINGMEDIA.COM Index Page 9 551-E4 Okeechobee Cowtown Rodeo See Page 9 March 8th - 10th Okeechobee WEST Living VOL. Index Page 30 MYLIVINGMEDIA.COM Meet Sean Quinn… See Pages 4-5 Your trusted neighborhood Realtor Our Local Market is Shifting & You need to know exactly what that means! River Shores North 549-A1 Living MYLIVINGMEDIA.COM Index Page 9 Meet Soraya Cedeño CEO of Organic Tagua Jewelry See Pgs. 18 & 19 Sailfish Point VOL. 549-A2 Living MYLIVINGMEDIA.COM Index Page 9 NO WATERING NO MOWING NO FERTILIZING VeroBeach VOL. 551-S1 Living West MYLIVINGMEDIA.COM Index Page 9 Jupiter VOL. 549-D1 DIRECT MAIL High-quality printed post cards & inserts allow you to target specific zip codes every two weeks FREE digital, mobile, & social media marketing for every one of our direct mail clients Mailing Martin, St. Lucie, Indian River, Okeechobee, & Palm Beach Counties my LIVING MEDIA ON THE WEB We are Florida’s Premier Direct Mail & Multimedia Marketing Company 1¢MAIL Some Restrictions Apply. Please call for details. PER HOME FOR ONLY… 15,000* HOMES CONNECT TO YOUR COMMUNITY… 772-247-6849 100+ UNIQUE COMMUNITY MAGAZINES

Health

AUTOMOTIVE

A Perfect Day Golf Carts ............ 14

BEAUTY

Absolute Wellness Spa .............. 38

Amanda Ghattas Jupiter Hair..... 25

CLEANING

Honor Carpet 62

Oliver Twist Pressure Washing 52

Stanley Steemer 11

The Groutsmith Grout Cleaning.. 48

DINING & ENTERTAINMENT

Antonio’s Italian Market ............. 20

Beneditti’s Pizza 22

Brio Italian Grille 24

Copacabana 21

Divine Treats .............................. 46

Jersey MIke’s Subs-PBG ............ 28

Mystic Lobster Co. ..................... 25

Nick & Johnny’s Osteria............. 20

Plant Based Ma a ...................... 22

Poke N Go 24

Taco Shack Jupiter 23 Tiramisu Pizzeria and Trattoria .. 26

HOME

24 Hour Floor ............................... 4

Alliance Group Roo ng .............. 63

Allied Aluminum and Railing 55

Alternate Power Soutions 50

Apex Pavers and Pools 57

Closets By Design 6

Coastal Closets and Showers .... 17

Complete Synthetic Turf.............49

Du-All Plumbing ......................... 42

East Coast Electric Screening 44

Face of Wood ............................. 28

Fencing South Florida 51

First Impression Doors and More 3 IMA Landscaping 56

Jupiter Sod and Landscaping .... 36

K-Boys Construction 42

Kamrell Windows and Doors ...... 63

Kitchen Tune Up 58

Marzo Roo ng Inc ...................... 52

Max Guard Enclosures 32-33

Max Guard Hurricane Windows 34-35

Mister Roof ................................ 41 North County Plumbing 58

Odums Sod ................................ 16

OX Floor Coating 19

Plantation Shutters Florida ........ 52 Plumb Rite Plumbing 30

Precision Door Service .............. 55 PS Flooring 37

Quality Air of America ................ 13 Roo ng Systems of FL 56 Seaglass Window ...................... 48 Stott Brothers Electric 38 Stuart Roo ng ............................ 42

Total Image ................................ 44 Tropical Pools ............................ 17

Universal Air and Heat ................. 7

Window Replacement Group ..... 59 Windowz and More .................... 53 XL Fencing ................................. 49

INSURANCE & BENEFITS

Renee Allen Insurance 51

JEWELRY

M & J Jewelry ............................ 26

Oteri’s Wholesale Jewelry ......... 18

MEDICAL & HEALTH

Abacoa Podiatry......................... 12

Alpaca Audiology 31

Appearance Implant and Family Dentistry 39

Coaching to Reign...................... 38

Dentistry By Design ................... 40

Dr. Samuel Holcroft .................... 15

Goals Weight Loss......................31

Habashy Dental.......................... 29

Jupiter Hair Center 16

MMJ Health 10 Stretch Zone 45

All Dry USA .................................. 2

Aqua Docs Water Restoration, Inc 43

ASAP Dryer Vent Cleaning..........16

Waste

Technology Solutions..51

Vent Cleaner,

upiter Living Index Page 9 Shop Local - Beautiful Designer Furniture and Furnishings Furniture Store Island VOL. 551-E1 Living MYLIVINGMEDIA.COM Index Page 9 Janice Milesic Steve Milesic Sebastian 551-T7 Living MYLIVINGMEDIA.COM Index Page 9 EAT. DRINK. CHILL. Grand Harbor Living MYLIVINGMEDIA.COM Index Page 9 VOL. Including Oak Harbor and River Club Gardens Palm Beach Living MYLIVINGMEDIA.COM VOL. 549-I5 THC TOTAL HOME DISCOVER THE PREMIER POSSIBILITIES A Taste of Italy in Every Bite Torino VOL. 549-F3 Living MYLIVINGMEDIA.COM See Pgs. 52-53 Executive Chef, Taylor Wilson This Grill is American Cuisine and Full Bar Stuart Yacht & Country Club Living VOL. 549-O4 Index Page 9 MYLIVINGMEDIA.COM MY LIVING CONTENTS - ZONE N
ANIMALS & PETS
.............................
E Pets
18
Ace of Carts ............................... 30
Unlimited Auto Wash 27
Great Clips PBG .......................... 14
SERVICES
IMPROVEMENT
PROFESSIONAL SERVICES
............
REAL ESTATE Ana Vega .................................... 11 RETAIL Prestige Pawn 25 The Summer House 47 Village Bootery 40 Volume 555 November 2022 For advertising rates and information Email: sales@mediaoms.com Call 772-247-6849 © 2022 by My Living Media. All rights reserved. Although some parts of this publication may be reproduced and reprinted, we require that prior permission be obtained in writing. My Living Magazine is a free publication distributed locally and is supported by our advertisers. Please call to find a location near you or if you would like copies placed at your business. We do not necessarily endorse the views expressed in the articles and advertisements, nor are we responsible for the products, and services advertised. We are not responsible for licensing or certifying businesses, nor are we responsible for verification of these requirements. We welcome your ideas, articles and feedback. *Dining pictures shown are for illustration purposes only. Actual products may vary due to product enhancement.
Bulk
26 Business
Dryer
The .............. 12 Golden Girls Estates ................... 40 Group One Security .................... 36 Momma B’s Monograms
30 Mr. Tint of America 36 Tree of Life Senior Services 30
10 VOL. 555 N Copyrighted© My Living Media. 2022 All Rights reserved. To Advertise call 772-247-6849 Palm Beach 561-631-7994 MMJ Health Make the Appointment Use our patient qualification system to see if you qualify for medical marijuana. See the Marijuana Doctor See one of our qualified physicians at one of our many locations in Florida. Get Your Card You will be able to visit and get delivery from any dispensary in Florida. Let Dr. Morgan, The Highest Rated MMJ Doctor, at MMJ Health find your Alternative to Pharmaceuticals! Anne L. Morgan, M.D. When it comes to finding medical marijuana (MMJ) doctors, you can trust the helpful and professional staff at MMJ Health. Serving patients in Palm Beach, Martin, & St. Lucie Counties. Call MMJ Health to schedule an appointment with a Florida Medical Marijuana Doctor: WINNER OF BEST DISPENSARY, BEST MEDICAL MARIJUANA CARD PROVIDER, BEST CBD STORE, AND FINALIST FOR BEST PLACE TO WORK HOW IT WORKS Treasure Coast 772-212-4032
VOL. 555 N 11 Copyrighted© My Living Media. 2022 All Rights reserved. To Advertise call 772-247-6849 Need More Coupons - MyLivingMedia.com FAMILY OWNED & OPERATED • SCHEDULE ONLINE TODAY AT: WWW.STANLEYSTEEMER.COM FIRE, WATER, & MOLD DAMAGE RESTORATION SERVICE Immediate Response 24-HOUR EMERGENCY Minimum charges apply. Cannot combined with other offers. Residential and Commercial. Must present this MLM Coupon at time of service. Valid at participating locations only. Certain restrictions may apply. Call for details. Lic. #CMC014066 561-404-5668 WWW.STANLEYSTEEMER.COM STANLEY STEEMER SERVICES ® FREE ESTIMATES FOR ALL COMMERCIAL BUSINESSES WE PRETREAT YOUR FLOORS AND MOVE YOUR FURNITURE AT NO CHARGE WE PRETREAT YOUR FLOORS AND MOVE YOUR FURNITURE AT NO CHARGE $99 $129 Expires 12/23/22 MLM Expires 12/23/22 MLM TILE & GROUT OR WOOD FLOOR CLEANING Only PER ROOM 3 ROOMS CARPET CLEANING Wool carpets extra. Area rugs not included in wall-towall cleaning. *Any Room Up to 300 sq. ft. Home & Of ce Air Puri er Removes Viruses, Bacteria, Mold, & Pollen From Our Home To Yours Happy Holidays! MARBLE & STONE CLEANING 15% OFF Expires 12/23/22 With MLM Coupon Proud to be Endorsed by Cystic Fibrosis Foundation $160 Expires 12/23/22 MLM HOME Which Air Are You Breathing? AIR DUCT CLEANING Up To 8 Vents BEFORE AFTER OFFICE FREE ESTIMATES CALL TODAY Buying or selling a home? Ana VegaRealtor® Jupiter Resident (561) 225-4604
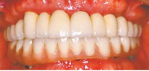
12 VOL. 555 N Copyrighted© My Living Media. 2022 All Rights reserved. To Advertise call 772-247-6849 Need More Coupons - MyLivingMedia.com 561.468.8230 THE PATIENT AND ANY OTHER PERSON RESPONSIBLE FOR PAYMENT HAS A RIGHT TO REFUSE TO PAY, CANCEL PAYMENT, OR BE REIMBURSED FOR PAYMENT FOR ANY OTHER SERVICE, EXAMINATION, OR TREATMENT THAT IS PERFORMED AS A RESULT OF AND WITHIN 72 HOURS OF RESPONDING TO THE ADVERTISEMENT FOR THE FREE, DISCOUNTED FEE, OR REDUCED FEE SERVICE, EXAMINATION, OR TREATMENT. SCAN FOR WEBSITE & SERVICES We accept most major insurance plans & Medicare 4601 Military Trail #202, Jupiter HOURS MONDAY-FRIDAY 8:30AM-5:00PM FOOT, ANKLE, OR VEIN ISSUES? WE CAN HELP! Rel … DR. ORLANDO CEDENO DPM Podiatrist Foot & Ankle Surgeon Located in Jupiter, FL $100 OFF SCLERO VEIN THERAPY With this MLM coupon. Expires 12/10/22 • Foot Ankle Surgery • Bunion Surgery • Cysts & Warts • Fractures & Breaks • Ankle Arthritis • Diabetic Foot Conditions • Minimally Invasive Foot Surgery • Hammer Toe • Ingrown Toe Nails • Varicose Veins Treatment • Neuropathy Solutions • Wound Care • Nerve Decompression in Foot BEFORE AFTER Bunionectomy® & Hammer Digit Minimal Pain…Minimal Incisions…Impressive Results
New A/C Install Brush Duct Cleaning FALL A/C Tune Up Complete Home Package A/C Coil Cleaning Hablamos Español qualityairofamerica.com A/C NOT COOLING? LEAKING? FREE SERVICE CALL 100% Financing Available $0 Down $0 Interest Lic. # CAC 1820202 561-819-2998 772-448-9835 Super Service Award Winner 3 Years in a Row WITH ANY REPAIR Authorized dealer/service for all major brands REPAIR, REPLACE, OR DUCT CLEANING 10% Discount for expecting mothers, military, & senior citizens Do not be fooled by imitations. There is only one Quality Air of America. Starting at $2199 ✓ Free digital thermostat ✓ Free 5-Year Service Plan ✓ Free air duct treament Payments as low as $69/month ✓ 24-point AC inspection ✓ Adjust Freon Up to 1lb (R410) ✓ Basic Drain Line Cleaning ✓ Duct Camera Inspection ✓ FREE Attic Insulation Inspection ✓ FREE Duct Inspection ✓ Air Duct Vacuum Cleaning ✓ Vacuum through Main Vent Line ✓ Duct Camera Inspection ✓ Air Quality and Flow Check ✓ Attic Installation Inspection ✓ AC inspection and adjust Freon up to 1 pound (R410) ✓ Free Air Filter- delivered after visit Value $225 Expires 12/31/22 Value $195 Expires 12/31/22 Value $365 Expires 12/31/22 Value $365 Expires 12/31/22 Only $99 Only $19 Only $65 Starting At $199 DUSTY DUCTS, BAD ODOR FREE ESTIMATES Emergency Servicee Per Unit BLOW OUT SALE BLOW OUT SALE FALL SPECIAL DUMB A/C? Let Us Make it Smart! Per Unit ✓ Up to 5 Vents Cleaned
14 VOL. 555 N Copyrighted© My Living Media. 2022 All Rights reserved. To Advertise call 772-247-6849 Need More Coupons - MyLivingMedia.com GOOD is a haircut you love. GREAT is a sweet price too. $ 999 OFFER EXPIRES: 10/31/22 ANY HAIRCUT Not valid with any other offers. Limit one coupon per customer. No copies. Taxes may apply. Valid at Frenchman’s Crossing, Donald Ross Village & Plaza at Lake Park. Masks may be required. LAKE PARK Plaza at Lake Park 1244 Northlake Blvd • 561-515-5410 PALM BEACH GARDENS Donald Ross Village 4650 Donald Ross Rd (Central Blvd & Donald Ross Rd) 561-624-7372 Frenchman’s Crossing 4073 Hood Rd (Next to Publix) • 561-768-7767 greatclips.com | jobs.greatclips.com | greatclipsfranchise.com 41309-001-Norman-Donald Ross Village-Frenchman's Crossing-Plaza at Lake Park-6.25 x 4.5325.indd 1 5/31/22 12:59 PM OFFER EXPIRES: 12/22/22 Your Premier Golf Cart Dealer in Jupiter! We Offer the Following: VISIT US ONLINE @ Jupitergolfcartsales.com 800 Capital St., #E, Jupiter • Service/Maintenance • Custom Golf Carts • Rentals: Daily/Weekly/Monthly • Parts • Sales: Gas/Electric (2-6 Seaters) • Accessories • Registrations & More! 561-408-7058 $20 OFF OFF $150 ANY CUSTOMBUILT GOLF CART ANY SERVICE JOB Expires 12/10/22 Expires 12/10/22
2560 RCA Blvd. Suite 101 • PBG • 33410 • www.pbgdentist.com The patient and any other person responsible for payment have the right to refuse to pay, cancel payment, or be reimbursed for any other services, examination, or treatment which is performed as a result of and within 72 hours of responding to the advertisement for the free service, examination, or treatment. Samuel J. Holcroft D.M.D., P.A. SERVICES INCLUDE Samuel J. Holcroft Family & Cosmetic Dentistry Please Mention Code OMS for discounted prices when booking. WHAT SETS US APART • 0% Financing Thru Care Credit. O.A.C. • Most Dental Insurance Plans Accepted • Adults & Children • Nitrous Oxide Gas & Oral Sedation if Desired • Partials & Dentures • Root Canals • Grinding Guards • Extractions • Digital X-Rays • Routine & Deep Cleanings • Tooth-Colored Fillings & Bondings • Crowns & Veneers • Implants & ImplantSupported Bridges A $400 VALUE. FOR NEW PATIENTS ONLY. May not be used with any other coupon. For best results should be used within 3 months of last cleaning. Expires 12/10/22 EMERGENCY PATIENT SPECIAL TOOTHACHE? $50 With this MLM coupon. Please mention this ad when calling for appointment. Cannot be combined with any other offer. Expires 12/10/22 Including X-Ray (D0220) and Exam (D0140) $200 TEETH WHITENING NEW PATIENT SPECIAL $79 With this MLM coupon. Please mention this ad when calling for appointment. Cannot be combined with any other offer. Expires 12/10/22 Including FMX (DO210), EXAM (D0150) & CLEANING (D1110) Is your dentist open on Friday and Saturday? We are! NOW OPEN FRIDAYS & SATURDAYS! 561-622-5600 MENTION CODE SMILE TO BOOK YOUR APPOINTMENT
16 VOL. 555 N Copyrighted© My Living Media. 2022 All Rights reserved. To Advertise call 772-247-6849 Need More Coupons - MyLivingMedia.com 561.331.LINT (5468) thelintmandryerventcleaning.com ✔ Dryer Vent Cleaning ✔ Dryer and Washer Installation ✔ Residential Services ✔ Commercial Services ✔ Rodent Guard Installation DRYER VENT CLEANING WHEN WAS YOUR DRYER VENT LAST CLEANED? • Speeds Up Drying Time • Reduces Fire Risk • Lowers Utility Costs (more ef cient) • Don’t Wait Until It’s Too Late With over 15,000 dryer res happening each year, IT MAKES SENSE! $30OffAny Dryer Vent Cleaning Service Licensed & Insured Serving Jupiter & the Palm Beaches Neighbors Discount Special *Washer & Dryer Repair Service Must present this MLM Coupon at time of service. Expires 12/15/22 Non-Surgical Hair Replacement MEN, WOMEN & CHILDREN for • Mens Systems • Womens Systems • Wigs & Maintenance • Toppers • Extensions • Epigenetic Testing Restore Your Confidence Complimentary Consultation in A Private Setting 4050 S. US Hwy 1, Suite 317, Jupiter • 561-725-5170 jupiterhaircenter.com 20% $99 $99 Off ANY HAIR SYSTEM EXTENSIONS INSTALLATION EPIGENETIC TESTING New Clients Only. WITH THIS MLM COUPON. New Clients Only. WITH THIS MLM COUPON. New Clients Only. WITH THIS MLM COUPON. Find Out the Cause of Hair Loss ASK ABOUT OUR HOMETOWN HERO DISCOUNT 561.370.3624 16571 Rembrandt Rd., Loxahatchee OdumsSod.com Now Hiring! CDL Driver Needed! SOD • ROCK • MULCH • SOIL • TREES • PLANTS
VOL. 555 N 17 Copyrighted© My Living Media. 2022 All Rights reserved. To Advertise call 772-247-6849 Need More Coupons - MyLivingMedia.com Licenced Contractor #MCN56662 #SCC131152195 561-810-1305 | www.coastalclosetsandshowers.com Visit our factory showroom at 4483 SE Commerce Ave, Stuart, FL 34997 Up to $300 off your new Custom Closet* Lifetime Warranty & FREE Glass Protection on your Custom Glass Shower Offers valid until December 30 2022 Coupon must be presented at time of consultation. *purchase of $2500 or more necessary. Home Solutions You’ll Be Thankful For! closet | office | garage | wall bed | wall units shower doors | glass wine rooms | store front glass CUSTOM CLOSETS AND SHOWERS DOORS Look No Further for the Experts in Pool Heating • Heat Pumps • Solar • Gas FAMILY OWNED AND OPERATED STATE LICENSES #CP-CO57115 • #CVC 56745 • NAT/LP 26278 HUGE DISCOUNTS FACTORY DIRECT! Heat Pumps • Solar • Gas Salt Chlorination Pool & Spa Automation Pool Pumps & Filters Pool Resurfacing Coping • Tile Renovate Your Existing Pool Today! tropicalpoolheating.com Your Pool Heating and Renovation Specialist FREE 11”x10” Mosaic With Swimming Pool Resurfacing Purchase With this MLM Coupon. Expires 12/10/22 FREE 5% Off Purchase Price Of Any Salt Chlorinator, Pool/Spa Automation, Pump, or Filter With this MLM Coupon. Expires 12/10/22 FREE Estimate! 561-745-1163 SAME-DAY ESTIMATES HEATING & RENOVATION A COLD POOL IS NO POOL
18 VOL. 555 N Copyrighted© My Living Media. 2022 All Rights reserved. To Advertise call 772-247-6849 Need More Coupons - MyLivingMedia.com Located at: 651 W. Indiantown Rd., Jupiter • 561-746-2345 FREE Cleaning 50% Off Any Watch Battery 20% Off Any Repair MLM Coupon expires 12/10/22MLM Coupon expires 12/10/22MLM Coupon expires 12/10/22 YOUR NEXT PRODUCT PURCHASE Natural Pet Food • Boutique • Grooming Catering to Your Pet’s Health! 155 Toney Penna Drive, Suite 6, Jupiter, FL 33458 1/2 mile South of Indiantown Road, between Alternate A1A & Military Trail Largest selection of natural, holistic, & raw pet food, including raw meaty bones, chicken necks, & tripe. 561.748. PAWS 7297 info@healthepetsmarket.com WWW.HEALTHEPETSMARKET.COM Certi ed NutritionPet Specialist Healthy options for cats and dogs, including supplements and vitamins, plus all of your pet’s favorite treats. 10%off Toys • Bones • Bedding • Leashes • Collars • Grooming Supplies and more. (Mon.-Sat.) • 8:30am - 7:00pm (Sunday) • 11:00am - 4:00pm EXCLUDING FOOD & GROOMING Must present coupon at time of service. Not valid with any other offer. Expires 12/10/22
Need More Coupons - MyLivingMedia.com WITH THIS MLM COUPON. OFFER EXPIRES 12/23/22 Offer Valid for Same-Day Service Only FREE IN-HOME ESTIMATE 30% OFF – PLUS –™ YOUR BEAUTIFUL NEW FLOORING IS JUST A CALL AWAY! 772-277-7562 561-277-0375 OXFLOORS.COM WE TAKE THE BORING OUT OF YOUR FLOORING! 10X STRONGER BOND THAN EXPOXY™ Garages Patios Pool Decks Driveways & Much MORE!
20 VOL. 555 N Copyrighted© My Living Media. 2022 All Rights reserved. To Advertise call 772-247-6849 Need More Coupons - MyLivingMedia.com 14133 US Hwy. 1 • Juno Beach 561-318-5466 Join Us For Fall Dining 20% Off 1/2 Off Dinner Entrées & Specials Bottle of House Wine 4:30PM-6PM *Cannot be combined with any other offer. *Excludes Pizzas, Salads, & Sandwiches. *Dine-in only, No Sharing. Expires 12/10/22 SCAN HERE FOR FULL MENU *Cannot be combined with any other offer. *Excludes Champagne. Expires 12/10/22 Entertainment Must present coupon or picture of it to receive discount. Expires 12/10/22. New Ownership! 12214 US Hwy One Juno Beach, FL 33408 Monday - Saturday 9am - 5pm (561) 625-6544 NEW Take Out & Catering Menu $5OFF Minimum of $50 With this MLM coupon. Cannot be combined with any other offers or specials. Expires 12/10/22 With this MLM coupon. Cannot be combined with any other offers or specials. Expires 12/10/22 With this MLM coupon. Cannot be combined with any other offers or specials. Expires 12/10/22 10% OFF Any Catering Order over $200 $5OFF 1/2 Tray Pre-Ordered Family-Size 1/2 Tray (Lasagna, Baked Ziti, Rigatoni w/ Vodka Sauce, Sausage, Peppers & Onions, or Pasta Bolognese) Visit our website for all NEW DISHES! 48-Hour Notice for all Catering Orders
VOL. 555 N 21 Copyrighted© My Living Media. 2022 All Rights reserved. To Advertise call 772-247-6849 Need More Coupons - MyLivingMedia.com OPENING HOURS Monday-Thursday 11:00AM-10:00PM Friday-Saturday 11:00AM-Midnight Sunday 11:00AM-10:00PM 1209 Main Street Suite 101 • Jupiter, FL 33458 561-360-3378 $500 OFF $25 Purchase With this MLM coupon. Cannot be combined with other offers. Expires 12/31/22 50% OFF Buy 1 Entrée at Regular Price Get The Second at Valid for Dinner only - With this MLM coupon. Cannot be combined with other offers. One coupon per table. Expires 12/31/22 (With the purchase of an adult entrée) *AT THE BAR ONLY Kids Under 12 Eat FREE & Tuesdays Thursday ALL DAY 12PM to 6PM “Authentic Cuban Cuisine Just Got A Little Closer To Home” Live Music every Wednesday thru Sunday!
22 VOL. 555 N Copyrighted© My Living Media. 2022 All Rights reserved. To Advertise call 772-247-6849 Need More Coupons - MyLivingMedia.com “The best restaurant I’ve ever been to, the food is amazing.” –Nina Charles 15% OFF ENTIRE MENU • Award-Winning Sweet-Heat Marinara • 1.5 Years in Business • Close to 700 reviews and 99% of them are ★★★★★ • Owners are (2) Italians and (1) Irishman from New York www.plantbasedma a.com 561-783-5131 7100 Fairway Drive, Suite 52 Palm Beach Gardens Sun - Thurs 11am to 9pm Fri - Sat 11am to 10pm Sat - Sun - Bangin Brunch 11am to 3pm Must present this coupon to your server. Not valid on tax or gratuity. Cannot be combined with other offers. One coupon per table per visit. Expires 12/10/22. 3755 Military Trail Suite B8 Jupiter • www.benedittispizza.com 561-250-6523 Mon.- Thur: 11am - 9pm Fri. & Sat: 11am-10pm • CLOSED SUNDAY BEST PIZZA IN TOWN DINE-IN TAKE-OUT DELIVERY 2 LARGE CHEESE PIZZAS WITH ONE TOPPING MON-WED CASH SPECIAL LARGE CHEESE PIZZA 1 LARGE CHEESE PIZZA AND 10 WINGS $2999 $2599 Must present MLM coupon. Cannot be combined with other offers. Dine in, Take out, or Delivery Expires 12/10/22 Must present MLM coupon. Cannot be combined with other offers. Dine in, Take out, or Delivery Expires 12/10/22 Must present MLM coupon. Cannot be combined with other offers. Dine in, Take out, or Delivery Expires 12/10/22 $1249 Pickup Only
• 24 Craft Tacos • Full Bar • Live Music BAR & GRILL 3-6 DAILY 2 for 1 Margaritas LIVE MUSIC Tuesday, Friday, & Saturday $30 Purchase or More APPETIZER CHIPS & SALSA DINNER With this MLM Coupon. Cannot be combined with other offers. Expires 12/10/22 With purchase of an entrée. With this MLM Coupon. Cannot be combined with other offers. Expires 12/10/22 With this MLM Coupon. Cannot be combined with other offers. Expires 12/10/22 $5 FREE FREE OFF Buy 1 Entrée at Regular Price, Get the Second Entrée Half Off Valid for Dinner only - With this MLM Coupon. Cannot be combined with other offers. One coupon per table. Expires 12/10/22 50%OFF With purchase of $25 or more 1155 Main Street Abacoa, Jupiter 561-508-3789 Sun-Thurs 11am-9pm • Fri - Sat 11am-10pm ALL DAY HAPPY HOUR 11:00AM-6PM TACO TUESDAY SPECIAL 2 FOR 1 MARGARITA Delivered by
24 VOL. 555 N Copyrighted© My Living Media. 2022 All Rights reserved. To Advertise call 772-247-6849 Need More Coupons - MyLivingMedia.com SIMPLE • HEALTHY • FRESH! 1155 MAIN ST #112 561-557-3949 SCAN FOR MENU FREE Buy 1 Tea, Get 1 • Build Your Own Poke Bowl • Boba Teas • Japanese Desserts Sun -Thurs: 11am - 9 pm Fri -Sat: 11 am -10 pm www.brioitalian.com From our fresh seafood, grilled steaks and house-made pastas, our dishes are sure to satisfy. See for yourself and join us for lunch or dinner today! The Gardens Mall / 3101 / PGA Boulevard / Palm Beach Gardens 561.622.0491 THE PERFECT DINNER FROM ROMANTIC ITALY The Perfect Start to Any Meal FREE APPETIZER! Enjoy One FREE Appetizer with the Purchase of Two Entrees* Must purchase two entrees at full price to receive free appetizer. Dine in only. May not be combined with any other offers or discounts. Present coupon to redeem offer. Dine In Only! Expires 12/12/22 Call Today To Make A Reservation! To Go/Curbside/Delivery Available JOIN US FOR OUR FAMOUS HAPPY HOUR MONFRI 3PM  6PM
VOL. 555 N 25 Copyrighted© My Living Media. 2022 All Rights reserved. To Advertise call 772-247-6849 Need More Coupons - MyLivingMedia.com –– JUNO BEACH ––TAKE OUT • DELIVERY • PARTY TRAYS Lobster Rolls ~ Specialty Rolls ~ Tacos & Sliders Sides ~ Desserts ~ Kids Menu 14151 US Hwy 1 561-660-8489 $5OFF $30 OR MORE Expires 12/10/22 561-972-0875 226 Center Street, Jupiter, FL 33458 ALL SERVICES RECEIVE COMPLIMENTARY HAIR TREATMENT First-time clients only. Offers may not be combined. Expires 12/31/22 * restrictions may apply $50 cut and blow dry ($75 Value) $80 color, cut, & blow dry ($140 Value) $75 partial highlight w/blow dry ($140 Value) $300 Proaddiction Smoothing ($350 Value) HAIR SHOP Amanda Ghattas at Jupiter …not your typical pawn shop. FREE 30% Off 561-575-5656 20% Off FREE Cleaning & Evaluation 360 W Indiantown Rd | JUPITER Certified Diamond Rings & Jewelry UP TO Cleaning Cloth with purchase of any jewelry over $300 Designer Handbags *Most Jewelry Pieces. Expires 12/10/22 Expires 12/10/22 Expires 12/10/22 Expires 12/10/22
26 VOL. 555 N Copyrighted© My Living Media. 2022 All Rights reserved. To Advertise call 772-247-6849 Need More Coupons - MyLivingMedia.com HAPPY HOUR 3-6 PM Daily WINE DOWN WEDNESDAY 50% OFF All Wines by the Glass & Bottle ALL DAY!! FREE Bottle of Wine with $50 Purchase $25 3-Course Menu $58-$60 Family Meals to Go (Temporary hours: 3-9 pm) INDOOR/OUTDOOR Social Distance Dining Available TAKEOUT • CURBSIDE PICKUP FREE DELIVERY (with $20 or more within 5 miles) ORDER ONLINE 561.444.3345 MONDAY & TUESDAY LARGE CHEESE PIZZA $10 Pick Up Only Cash Only With this MLM coupon. Not valid with any other offers. Expires 12/10/22 WEDNESDAY BUY 2-TOPPING PIZZA GET ONE LARGE CHEESE PIZZA  Pick Up Only & Delivery Only With this MLM coupon. Not valid with any other offers. Expires 12/10/22 FREE 12100 Hwy., US-1 Ste A • North Palm Beach www.TiramisuPizzeria.com • Like & Follow Us! 561-312-1937 DUMPSTER RENTALS DONE RIGHT CALL THE DUMPSTER RENTAL EXPERTS Delivered in 24 hrs or Less www.bulkwastefl.com $50 OFF With this MLM Coupon Expires 12/31/22 ANY DUMPSTER RENTAL EXPERT FULL SERVICE JEWELRY REPAIR JEWELRY 75 E. INDIANTOWN RD #504 • JUPITER WE BUY GOLD 561.406.2074 20% OFF 20% OFF 50% OFF Any Watch or Jewelry Repair Watch Battery Estate Jewelry With this MLM coupon. Expires 12/10/22 With this MLM coupon. Expires 12/10/22 With this MLM coupon. Expires 12/10/22
VOL. 555 N 27 Copyrighted© My Living Media. 2022 All Rights reserved. To Advertise call 772-247-6849 $1995 First Month UNLIMITED INSIDE & OUT WASHES SAVE $25 You get unlimited hand washes AND wheels, cleaned, sealer wax, tires shined, dash and jams wiped, vacuum, windows blown dry and hand nished, all Unlimited. Reg. $44.95. Credit Card Required. New customers only. Some large, raised and commercial vehicles excluded from club. Download our mobile app required to redeem offer. Cannot be combined with any other offers With MLM coupon. Expires 12/10/22 561-WASH-ME-2 100% HAND WASH! Jupiter-6812 W. Indiantown Rd. (Next to McDonalds) Tequesta-1625 N Old Dixie Highway (Next to Pinder’s Seafood) Gardens-4109 Northlake Blvd. (BP at Northlake & I-95) WPB-2405 Okeechobee Blvd. (Formerly Top Hat Car Wash) Wellington-4213 S. State Road 7 (Lake Worth Rd & 441 in Chevron) Gardens-12194 Alternate A1A (1/4 Mile S. of Hood Rd., Next to Chevron) Gardens-9730 Alternate A1A (Formerly Starbrite Carwash @ Sunoco) SAVE (Reg $25/$29/$40) With MLM coupon. Cannot combine discounts. All Prices subject to size/condition of vehicle. Download our mobile app required to redeem offer. Expires 12/10/22 Download our App for great savings around town “Wash Club” www.UnlimitedAutoWashClub.com ★ Up to (96 Hour) Rain Guarantee ★ Monday is Men’s Day ★ Wednesday is Ladies’ Day ★ Thursday is Senior’s Day $3599 Express Hand Wax 30 Minute Service Price subject to change based on condition/size of vehicle. Includes Popular Wheel Deal Wash Package. Valid at all 7 locations. With MLM coupon. Cannot combine discounts. Download our mobile app required to redeem offer. Expires 12/10/22 (Reg $44.99) Our Top 3 Wash Packages $5 Complete Detail Inside & Out Price Subject to Change Based on Condition/Size of Vehicle. With MLM coupon. Valid at ALL 7 locations only. Not valid with other offers. Download our mobile app required to redeem offer. Expires 12/10/22 $11999 (Reg $149.99) LET US SANITIZE YOUR CAR! Mon-Sat 8:00AM-6:00PM Sun. 9:00AM-5:00PM
28 VOL. 555 N Copyrighted© My Living Media. 2022 All Rights reserved. To Advertise call 772-247-6849 Need More Coupons - MyLivingMedia.com · HARDWOOD · VINYL · LAMINATE · ENGINEERED WOOD CALL NOW FOR FREE ESTIMATE STUART 772.600.4814 www.faceofwood.com SHOWROOM: 6408 SE Fed. Hwy., Stuart | Mon-Fri: 8am-5pm |Sat: By Appointment Only FLOORING INSTALLATION & REFINISHING * WE OFFER 1-YEAR WARRANTY ON INSTALLATION * INTEREST-FREE FINANCING 14 Years Serving South Florida! 10% OFF With this MLM coupon Expires 12/31/22 (Estimates that include both materials & installation) With this MLM coupon Expires 12/31/22 $150 per sqft per sqft LAMINATE Starting at With this MLM coupon Expires 12/31/22 $220 LUXURY VINYL PLANK Starting at Licensed & Insured 11604 US Highway 1 Palm Beach Gardens 561-360-3136 jerseymikes.com 1 S2.oooFF ANY SIZE SUB! • 1WM\l\iiMUMiiMiHWjjj,j: Expres5/31'2l. Valid at participatirg.lefl€\' Mike's Sobs. Ore coupon per iJ€M'l per visit per day. Not to be Clll11bired with other offers. No cash vall>'. Coupon redeemable in pers Difeo with promo codes may am be redeemed in our app. 23112 1111111111111111111111111111111111111111111111111111111 BUY 2 GIANT SUBS. GET A 3rd { GIANT FOR S2-'' •of equal or lesser value VALID ONLY AT 11604 US HIGHWAY 1 LOCATION VALID ONLY AT 11604 US HIGHWAY 1 LOCATION VALID ONLY AT 11604 US HIGHWAY 1 LOCATION Expires 12/10/22. Valid at participating Jersey Mike’s Subs. One coupon per person per visit per day. Not to be combined with other offers. No cash value. Coupon redeemable in person. Offers with promo codes may also be redeemed in our app. 2306 Expires 12/10/22. Valid at participating Jersey Mike’s Subs. One coupon per person per visit per day. Not to be combined with other offers. No cash value. Coupon redeemable in person. Offers with promo codes may also be redeemed in our app. 2312 Expires 12/10/22. Valid at participating Jersey Mike’s Subs. One coupon per person per visit per day. Not to be combined with other offers. No cash value. Coupon redeemable in person. Offers with promo codes may also be redeemed in our app. 23152

came in for a weekend emergency. Dr. Habashy was gentle, funny, and able to get me out of pain quickly”

A.

Habashy is a great dentist! Always puts me at ease and takes care of me. I go wherever he is!” —Christina C.

Dr. Habashy definitely deserves 10 plus stars. This was me and my family first time visiting his office. He’s very gentle and caring. My kids loved him so he’s a winner in my books. So many great things to say about him. Book him you will not regret it.” —Yolanda W.

dental office I’ve ever been to. Calm atmosphere with top quality staff. You can even watch TV! Will definitely be coming back again.” — Kevin J.

root canal of my life! And the crown looks beautiful! Dr. Habashy is the best dentist”

— Eric L.

VOL. 555 N 29 Copyrighted© My Living Media. 2022 All Rights reserved. To Advertise call 772-247-6849 Need More Coupons - MyLivingMedia.com SIGNATURE PRINT NAME DATE Making top-quality DENTISTRY AFFORDABLE! Palm Beach Gardens | 4595 Northlake Blvd., Suite 103 Call to schedule your appointment today! 561-427-7711 www.HabashyDental.com When it comes to your smile, we provide top-quality services with a gentle touch. We make sure your comfort is our priority and are committed to giving you a beautiful smile that lasts a lifetime. Financing Available • Affordable Pricing Most Insurances Accepted • On-Site Implants Open Saturdays & Evenings We’ll help you smile WITH CONFI DENCE! ★ ★ ★ ★ ★ “I
—Christina
★ ★ ★ ★ ★
★ ★ ★ ★ ★“
★ ★ ★ ★ ★
★ ★ ★ ★ ★“Easiest
New Patient Specials: New Patient Specials: New Patient Specials: $99 $300 OFF Cleaning, Complete Patient Exam, & X-rays Crowns, Root Canals, or Implants Complimentary Implant Consultation With this MLM coupon. Not valid with other offers or prior services. Expires 12/10/22 With this MLM coupon. Not valid with other offers or prior services. Expires 12/10/22 With this MLM coupon. Not valid with other offers or prior services. Expires 12/10/22 includes 3D Cone Beam X-Ray (Valued $364).
“Dr.
“Nicest
.
30 VOL. 555 N Copyrighted© My Living Media. 2022 All Rights reserved. To Advertise call 772-247-6849 Need More Coupons - MyLivingMedia.com email: mommabsmonograms@gmail.com mommabsmonograms.com With this MLM Coupon • Exp. 12/15/22 *SOME RESTRICTIONS APPLY PERSONALIZED UNIQUE GIFTS! MONOGRAMS BABIES • PETS • HOME • HOLIDAYS • TEAM SPIRIT • BIRTHDAYS 561-556-8200 Spend $25 and get a FREE PERSONALIZED MONOGRAM SENIOR SERVICES We Care Like Family! English - Spanish - Portuguese For All Your Non-Medical Services (561) 406-9808 • Companion • Transportation • Tech Help • House Sitting • Home Care • Errands www.TreeofLifeSeniorServices.com @TreeofLifeSeniorServices Licensed & Insured CFC1427336 561.533.7070 PlumbRitePlumber.com $30 OFF ANY SERVICE With this MLM coupon. We have got your plumbing problems covered. Services we offer: • Sewer, Drain Stoppages, and Clogged Lines • Plumbing Leaks and Repairs • Water Heater Installation, Repair, and Replace • Electric Roto-Rooter Service • High Water Pressure Sewer Jetting • Leak Detection • Camera Inspection 24/7 EMERGENCY SERVICE 1-833-ACE-CART(223-2278) Aceofcarts.com Ace of Carts 4880 SE Federal Hwy., Stuart • 2nd Location 552 US Hwy. 1 North, Tequesta Must be a 2022 Model Year Club Car from dealer stock. Offer Valid through December 22, 2022 or while supplies last. Financing is available with standard rates. Not eligible for 0% Financing promotion; offers do not combine. Promo code:MLM822 Over 200 Brand New Club Cars in stock! $1,000 in FREE Accessories, FREE Delivery Destination, & Setup Charges. REGISTER ONLINE TO GET https://aceofcarts.com/red-tag/ SALES• SERVICE • PARTS Now Open in Tequesta! AUTHORIZED DEALER Carts in Stock & Ready for Delivery
Copyrighted© My Living Media. 2022 All Rights reserved. To Advertise call 772-247-6849 Need More Coupons - MyLivingMedia.com www.GoalsWeightLoss.net GOALS WEIGHT LOSS FREE 50% OFF CONSULTATION All Weight Loss Programs Plus Must present this MLM coupon for discount. Expires 12/22/22 Guaranteed Results 561-283-1011 401 Maplewood Dr., #2, Jupiter (Maplewood Center behind Home Depot) BEFORE AFTER LOST 60 POUNDS! Without Surgery LOST 95 POUNDS! Without Surgery BEFORE AFTER BEFORE AFTER LOST 40 POUNDS! Without Surgery Lose Weight QUICK! • Eat Real Food • No Exercising Required! • Private Counseling • Medically Supervised • NO Hormone Supplements • Individual Plans – PHENTERMINE AVAILABLE –Our Jupiter location is centrally located and We welcome you to meet Gabrielle Poplarchick, Jupiter’s One-Stop Shop For Your Hearing Needs! Schedule an appointment for you or a loved one: 2161B S. US Highway 1
Copyrighted© My Living Media. 2022 All Rights reserved. To Advertise call 772-247-6849 Need More Coupons - MyLivingMedia.com PATIO ENCLO BRING YOUR OUTDOORS 561-566-7230 772-758-7360 FREE Quote *MaxGuard is not responsible for delays outside of it’s reasonable control including but not limited to HOA and permitting approval or manufacturing delays.
VOL. 555 N 33 Copyrighted© My Living Media. 2022 All Rights reserved. To Advertise call 772-247-6849 Need More Coupons - MyLivingMedia.com SURES OUTDOORS INDOORS FINANCING DISCLOSURE: Contractor is neither a broker nor a lender. Financing is provided by third-party lenders unaffiliated with Contractor, under terms and conditions arranged directly between the customer and such lender. All subject to credit requirements and satisfactory completion of finance documents. Any finance terms advertised are estimates only. $ 0 Tax 0 % Interest $ 0 Payments /24 MONTHS /24 MONTHS 0% PER MO. $164 BUY NOW PAY LATER Think Windows are too much?
34 VOL. 555 N Copyrighted© My Living Media. 2022 All Rights reserved. To Advertise call 772-247-6849 Licensed & Insured SCC131151738 Hurricane Windows & Doors www.MaxGuardHurricane.com /24 MONTHS /24 MONTHS $164 per month • Hurricane Protection • Home Security • Energy Efficiency • Reduced Insurance Costs • Increased Property Value • Sound Reduction Think Windows are too much?
VOL. 555 N 35 Copyrighted© My Living Media. 2022 All Rights reserved. To Advertise call 772-247-6849 FREE Quote! Call Today Windows *FINANCING DISCLOSURE: Contractor is neither a broker nor a lender. Financing is provided by third-party lenders unaf liated with Contractor, under terms and conditions arranged directly between the customer and such lender, All subject to credit requirements and satisfactory completion of nance documents. Any nance terms advertised are estimates only Don’t Get Caught Off Guard, Use Florida’s #1-Rated Hurricane Window 561-566-5629 772-932-5629 $ 0 Tax 0 % Interest $ 0 Payments /24 MONTHS /24 MONTHS 0% BUY NOW PAY LATER FINANCING AVAILABLE
36 VOL. 555 N Copyrighted© My Living Media. 2022 All Rights reserved. To Advertise call 772-247-6849 Need More Coupons - MyLivingMedia.com Jupiter Sod & Landscaping FREE ESTIMATES FLORATAM • BAHIA • PALMETTO • BERMUDA Sod Removal & Installation 13049 W. Indiantown Rd. • Jupiter 1st Pallet 10% OFF With this MLM coupon. Expires 12/10/22 LANDSCAPE DESIGN ROCKS & MULCH PRODUCE HARDSCAPING Over 40 Years of Experience 561.768.1337 561.747.7856 • RESIDENTIAL • COMMERCIAL • MARINE WINDOW TINTING NO AUTOMOBILES off $30 Any order over $100 Exp. 12/31/22 SAVE ON Y OUR E LECTRIC B ILL !! Over 40 Years of Experience 772.244.2990 www.mrtintofamerica.com TINT YOUR WINDOWS Highest Quality Film at the Lowest Prices Reduce Heat Load Eliminate Glare Minimize Fading BEST OF ALL We come to You! Before Before After After ALARM SYSTEMS Protecting People & Property Since 1984 FULLY INSTALLED & MONITORED ALARM SYSTEM • Alarm.com Dealer • FREE Home Survey • Security Cameras • Fire Alarms • Security Alarm Systems LIC# EF20000681 • LIC# FPC 13-000046 7728376567 FREE 1ST MONTH OF SERVICE WITH A MINIMUM OF 12 MONTHS WITH THIS AD • EXP. 12/31/22
Flouring Inc. WWW.PSFLOORINGUSA.COM (561) 612-4039 5Google stars Reviews ••••• FAMILY OWNED & OPER ATED 2 Rooms •999.oo Up to 260 sq. ft With thisad.Cannotbecombined with any other offers. 3 Rooms •1499.oo Up to 400 sq. ft With thisad.Cann otbecombined with any other offers. Whole House •2799.oo ent er Round llatlon ht Furniture n y apply) extra 8mm0nly VISIT OUR SHOWROOM OR CALL FOR A FREE IN HOME ESTIMATE NOW OPEN IN JUPITER 501 N ALTERNATE AlA JUPITER 33477 LAKEWORI'H 2110 N DIXIE HWY LAKEWORTH 33460 ROYAL PALM BEACH 8060 BELVEDERE RD SUITE 1&2 WEST PALM BEACH 33411 JUPITER 501 N ALTERNATE A1A NOW OPEN IN JENSEN BEACH 1683 NE JENSEN BEACH BLVD JENSEN BEACH 34957 LAKEWORTH 2110 N DIXIE HWY LAKE WORTH 33460 ROYAL PALM BEACH 8060 BELVEDERE RD SUITE 1&2 WEST PALM BEACH 33411
38 VOL. 555 N Copyrighted© My Living Media. 2022 All Rights reserved. To Advertise call 772-247-6849 Need More Coupons - MyLivingMedia.com Relax, Recharge, Rejuvenate. Must present MLM Coupon for discount. Expires 12/31/22 Must present MLM Coupon for discount. Expires 12/31/22 Swedish Massage or Acupuncture Deluxe Hydrofacial Deep Tissue Massage Includes Booster & Celluma Light BioElectric DDS Must present MLM Coupon for discount. Expires 12/31/22 www.absolutewellnessspa.com 221 Greenwich Cir #101 • Jupiter (Between Donald Ross and University Dr.) Reg. $209 Reg. $90 Call Linda or Greg 561-254-7572 Must present MLM Coupon for discount. Expires 12/31/22 Custom Deep Pore Facial $65 Add Chemical Peel or Microderm $25 (medical grade) $69 By Appointment Only $59 50 min. 60 min. Reg. $120 $149 Gift Certificates Available Facials, Massage & Acupuncture MM19098 MA46698 New Location NOW HIRING CALL TODAY! Experienced Electricians $50 OFF ANY JOB OVER $500 Cannot be combined with other discounts or offers. With this MLM coupon. Expires 12/31/22 Need An Electrician? FREE ESTIMATES Lic # EC13007910 561-782-8184 • Boost Immune System • Improve Mental Clarity • Alleviate Covid-19 pounds and side effects • Increase Energy NEXT TRANSFORMATION PACKAGE A B IBLICAL A PPROACH U SING F OOD A S M EDICINE ! TRANSFORM YOUR BODY IN 30 DAYS! 25% OFF COACHING TO Reign Health & Wellness Coaching https://form.jotform.com/222574816501151 Program Starts Sunday, November 27th Your Investment is $245

that was

on

Sullivan Show. I sang every hit song for Paul Revere & the Raiders, including ‘Kicks,’ ‘Indian

my solo ‘Arizona.’ My trademark was a ponytail and a teen idol smile. The ponytail’s been gone for awhile, but as a singer my smile is still super important. I recently visited Appearance Dental for an implant and crown procedure. The staff was courteous and made me feel comfortable from the moment I walked in the door. I was really impressed with their dental office and the dentist did an outstanding job. Appearance Dental transformed my smile, and I trust them to keep my smile looking revolutionarily good.” — Mark Lindsay Read all of our testimonials at AppearanceImplants.com

VOL. 555 N 39 Copyrighted© My Living Media. 2022 All Rights reserved. To Advertise call 772-247-6849 Need More Coupons - MyLivingMedia.com OPEN FOR EMERGENCIES | AFFORDABLE DENTAL EXCELLENCE IS NOW HERE! WE ARE PRIVATELY OWNED, NOT A CHAIN OR CORPORATE ENTITY. WE SPECIALIZE IN FULL MOUTH RECONSTRUCTION Additional services we offer include CLEAR TOOTH ALIGNERS, SINGLE IMPLANTS, DENTURES & MORE!!! FREE IMPLANT CONSULTATION (Exam & Digital X-Ray or 3D Cone Beam) (D0150, D9310, D0330 & D0383) SureSmile® OR CLEAR TEETH ALIGNERS OUR DENTISTS HAVE OVER 100 YEARS OF COMBINED EXPERIENCE & HAVE PLACED OVER 15,000 IMPLANTS You Des ve a Beautiful Smile! SALVATORE MELITA, DDS ALANA SHIELDS, BSN, RN, DMD JAY GELMAN, DMD JOSEPH GAETA JR., DDS Better On 8™ Cleaning Porcelain Fused to Metal Crown Zirconium All Porcelain Crown $59 $699 $899 Includes Free Exam & X-Rays New Patients Only LIMITED OFFER (D1110, D0150, D4355,D0330) (D2751) (D2740) FULL ROUND HOUSE BRIDGE A Better Alternative to All-On-4 Benefits • Very little, if any speech changes • Does not cover any part of the palate • Can be cleaned just like bridges on teeth • Require no special abutments (All-on-4 protocol requires angle correct on abutments which are not bone or gum tissue friendly) • Usually do not need pink porcelain at the gumline (because aggressive bone removal is not necessary) D6010, D6056, D6240, D6060 BETTERON8.COM D6010, D6056, D5863, D5865, D5862 PER ARCH WITH LOCATORS PER ARCH D6010, D6056, D6065, D6060 50% SAVINGS WE USE MEGAGEN IMPLANT SYSTEMS Implant, Abutment, and Zirconium Crown Implant, Abutment, and Crown Only$1,899 Only$2,099 D7140 DENTURES ECONOMY $359 INTERMEDIATE $999 DELUXE $2,000 D5810/D5811 D5130/D5140 D5110/D5120 With Simple Extractions Starting at $99 We will beat any like-priced quote $9,999 Implant and Abutments Placed Crown and Bridge Porcelain Fused to Metal Implant Abutments Placed $14,500 FULL MOUTH RECONSTRUCTION ROUND HOUSE BRIDGE 8/6 IMPLANTS & 12 UNITS OF CROWNS starting at starting at TRADITION DENTAL OPEN MON.-FRI. SATURDAY & EVENING HOURS AVAILABLE JUPITER 561-250-6307 6390 W. Indiantown Rd., #32 Jupiter, FL 33458 At the West End of the Chasewood Plaza AppearanceImplants.com 772-207-1213 1973 SW Savage Blvd. #205 Port St. Lucie, FL 34953 Behind the RaceTrac Gas Station TraditionDentalGroup.com OPEN MON.-FRI. SATURDAY & EVENING HOURS AVAILABLE PORT ST. LUCIE TR-1968533.INDD SALESPERSON:MelissaKelley ISOUR37YEARTRADITION DentistOwned,Not “Hi,I’mMarkLindsay,andthat smeontheEdSulli nSho s, including ‘Kicks rizona.’Mytrademark saponytailandateenidolsmile.Theponytail’sbeen go fo awhile,butasasinger smileisstillsuperimportant.I cently nprocedure. Thestaff elcomfortablefromthe allyimpressedwiththeir dentalofficeandthedentistdidanoutstandingjob. Tradition Dentaltransformed ep my smile —MarkLindsay “Hi, I’m
WE WILL MEET OR BEAT ANY WRITTEN ESTIMATE ON IMPLANTS, ROOT CANALS, & CROWNS! WALK-INS WELCOME WEEKEND & EVENING APPOINTMENTS AVAILABLE PRICES ARE SUBJECT TO CHANGE WITHOUT NOTICE WITH THE EXCEPTION OF PREVIOUSLY SCHEDULED TREATMENT PLANS. NEW TREATMENT PROGRAM ONLY. THE PATIENT AND ANY OTHER PERSON RESPONSIBLE FOR PAYMENT HAS THE RIGHT TO REFUSE TO PAY, CANCEL PAYMENT OR BE REIMBURSED FOR ANY SERVICE EXAMINATION OR TREATMENT WHICH IS PERFORMED AS A RESULT OF AND WITHIN 72 HOURS OF RESPONDING TO THE ADVERTISEMENT FOR THE FREE, SERVICE, EXAMINATION OR TREATMENT. LIC #DN10761
Mark Lindsay, and
me
the Ed
Reservation,’ and
40 VOL. 555 N Copyrighted© My Living Media. 2022 All Rights reserved. To Advertise call 772-247-6849 • Cr ys tal & Glasswar e • Collect i bles • O ld T oys • Artwork FOR FREE ESTIMATES OR ANY QUESTIONS , CONTACT ANUHEALANI OR CHELSEA 561 333 1889 @GOLDENGIRLSESTATES W E B U Y C O M P L E T E & P A R T I A L E S T A T E S S E L L U S Y O U R I T E M S F O R C A S H T O D A Y ! ebay MEN’S POLO SHIRT by 7 Diamonds VILLAGE BOOTERY SHOE STORES 245 U.S. Highway One • Tequesta 561.746.3536 $10 OFF Your next Village Bootery purchase Expires 12/15/22. Discount not available on sales merchandise. Emergency Care Teeth Whitening Cosmetic Dentistry Same-Day Treatment Family Dentistry Always Accepting New Patients & Walk-Ins Ask About Our In-House Plan Hours: Mon - Fri 8:30AM-5:00PM 3889 Military Trail #102 Jupiter, FL 33458 561-861-2611 www.dbd .com NEW PATIENT SPECIAL $99 D0150 Exam D0210 X-Ray D1110 Cleaning in absence of periodontal disease D0330 Panoramic X-Ray Expires 12/31/22 SE HABLA ESPAÑOL Now Offering: FREE Whitening for new patients for a year!
VOL. 555 N 41 Copyrighted© My Living Media. 2022 All Rights reserved. To Advertise call 772-247-6849 PREVENT LEAKS AND WATER DAMAGE CALL TODAY for your FREE Roof Inspection! 100% FINANCING Not Based on Credit Score No Money Down SERVING ALL OF SOUTH FLORIDA! • TILE • METAL • SHINGLE • FLAT • YOUR RESIDENTIAL SPECIALISTS CALL US 24 Hrs. 561-202-2040 • Florida License #CCC1333947 • Fully Insured $100 Off $500 Off Any Repairs Any Re-Roof With this MLM Coupon. Expires 12/23/22 With this MLM Coupon. Expires 12/23/22 • Residential Specialist • Roof Replacements • Re-Roo ng • Storm Damage • Roof Inspections • Hail Damage Financial
42 VOL. 555 N Copyrighted© My Living Media. 2022 All Rights reserved. To Advertise call 772-247-6849 Need More Coupons - MyLivingMedia.com 132 NE Dixie Hwy., Stuart, FL 34994 Licensed & Insured State Certi ed License #CCC024411 Serving Martin & Palm Beach Counties for Over 30 Years! “You’ve tried the rest…now call the Best!” Re-Roof & Repair Specialists METAL ROOFS Starting At Starting At $17,500 TILE ROOFS (Minimum 3500 Sq Ft of Roof) $24,500 (Minimum 3500 Sq Ft of Roof) 772-692-9854 Re-roofs • Repairs • New Construction • Cement & Clay Tile Fiberglass Shingles • Wood Shakes • 5-V & Standing Seam Metal Built-up Modi ed Rubber • Residential & Commercial 25- to 50-Year Material Warranty Available 5- to 10-Year Labor Warranty Available Martin County’s Trusted Name Since 1980! www.Kitchensbykboys.com 561-496-6765 • Bathrooms • Cabinetry • Flooring • Shiplap • Wainscoting • Closets $200 Off Any Kitchen Remodel over $3,000 MLM coupon expires 12/30/22 561-509-5577 Serving all of Palm Beach County Any New Hot Water Heater or Tankless Heater Any New Toilet Any New Garbage Disposal Clearing Any Sink, Toilet, or Main Sewer Line Your Next Service Call $65 OFF $50 OFF $35 OFF $37 OFF Not valid with other offers or prior services. Must present MLM coupon. Limit one coupon per service call. Not valid with other offers or prior services. Must present MLM coupon. Limit one coupon per service call. Not valid with other offers or prior services. Must present MLM coupon. Limit one coupon per service call. Not valid with other offers or prior services. Must present MLM coupon. Limit one coupon per service call. Not valid with other offers or prior services. Must present MLM coupon. Limit one coupon per service call. Celebrating 40 Years of Excellence www.duallplumbers.com N N N N N Lic. #CFC1429556 Any Job Big or Small We Do Them All! Available Nights, Weekends, & Holidays Plumbing Repairs & Water Heater Installations Senior Citizen & Veteran Discounts Available! $30 OFF

A: Mold is a type of fungi that is naturally occurring in the environment. Q: How does in grow?

YOU PAID YOUR INSURANCE… We bill the insurance company directly
Q: What is Mold?
Q: How can
A:
Q: How do I get rid of mold? A: The air in all affected areas should be treated to kill & remove
70% 93% 21% 45 24-48 HRS Of Homes are estimated to have mold behind walls Of chronic sinus infections have been attributed to mold Of all asthma cases in the US are attributable to dampness and mold exposure Million buildings in the US have unhealthy levels of mold The amount of time it takes for mold to grow after a water loss LET IT COVER YOUR DAMAGES AQUA DOCS Water Restoration, Inc. 772-261-4181 WE DO IT ALL! WATER • MOLD • FIRE FREE Evaluation LIC# MRSR3440, MRSA3876
A: In order to grow, mold needs water, oxygen, and a food source, such as wood or drywall. Q: Where is it found? A: Mold grows in a place with a lot of moisture (leaks in roof, windows, pipes, etc.). Q: How fast can it grow and become a problem? A: Mold can easily grow within 24 to 48 hours. Q: Are there any health risks? A: Mold can cause nasual congestion, throat irritation, dif culty breathing, coughing, or wheezing.
I prevent mold growth?
Fighting mold starts by ghting moisture.
spores.
44 VOL. 555 N Copyrighted© My Living Media. 2022 All Rights reserved. To Advertise call 772-247-6849 Need More Coupons - MyLivingMedia.com FREE CONSULTATION 10% OFF 561.855.6595 Let Us Make Your Dream A Reality! LIC# CGC1525942 825 15th Street Lake Park • Custom Cabinets • Closets • Kitchens • Bathrooms • Doors & Windows • Custom Millwork Any Remodeling Job. Must Book Before 11/30/2022 Total Ima g e With this MLM coupon Motorized Roll-Up Screens for Garages, Patios, or Lanais YOUR LOCAL SCREEN & AWNING DEALER. RATED #1 IN SERVICE 561-349-6788 FlaScreens.com Serving Port St Lucie to Boca Raton • Visit Our Showroom at: 2885 Jupiter Park Dr. • Suite 1900A • Jupiter, FL 33458 • Power Screens • Retractable Awnings • Nano Bugmesh • Solar Fabrics • FREE In-House Estimates ENTERTAIN OUTDOORS YEAR ROUND! Let The Fresh AIR IN, Keep the BUGS OUT. Lic.# U-20970

Stretching Into the Holidays…

Every 5,000 miles, like clockwork, you take your car to get its oil changed and tires rotated. It’s basic, routine maintenance, but that consistent attention and upkeep is vital for your vehicle to run e ciently, especially over a number of years. Your body, much like your vehicle, requires regular care and treatment to keep it healthy. And, again like your automobile, your body needs support from someone other than yourself, a professional who can guide it to achieving its utmost abilities and to retaining its peak performance.

Getting older, playing sports, or having a condition like sciatica or arthritis shouldn’t hold you back from living your life! You can feel like your younger self again, the one who didn’t feel any aches or pains when walking, running, jumping, or even sitting… all you have to do is visit Stretch Zone.

Drew Brees, former quarterback of the New Orleans Saints, is the newest partner at Stretch Zone who advocates for people to regularly get stretched. A er personally going to Stretch Zone for an assisted stretching session, Drew was impressed with the uniquely e ective and nationally accredited Stretch Zone Method®, which is administered by a highly-trained and Stretch Zone-certi ed stretch practitioner.

Here’s How It Works:

1.) Your rst session begins with lling out an intake form and having a consultation with your experienced and knowledgeable stretch practitioner. Based on your medical background and your personal goals, the stretch practitioner will personalize the ensuing 30-minute assisted stretching session to meet your individual needs.

On subsequent visits, you’ll simply do a check-in with the practitioner to update your medical pro le with any recent changes and/or any new pain or discomfort that you might be experiencing.

2.) e stretch practitioner initiates the rst steps of the approved Stretch Zone Method®, utilizing Stretch Zone’s special patented straps to encourage your body to relax and ease into the stretches. You won’t nd these straps anywhere else! Comparable to a thunder jacket for your pets, they are meant to calm your mind so that your entire body is perfectly loose, thus allowing the stretch practitioner to stretch your body to its full potential and, as a result, provide you with both preventative maintenance and pain relief.

3.) Assisted stretching (a/k/a passive stretching) is di erent from physical therapy in that your body is being stretched by someone else; thus, you’re not actually doing any work. roughout your 30-minute session, the stretch practitioner will be steadily interacting one-on-one with you, ensuring that you are completely comfortable and not experiencing any pain. Ultimately, you are in control of the stretch, even as your practitioner guides your body through each and every step, because you tell the practitioner when you feel your best stretching position. e more you communicate, the better results you’re going to get!

Take advantage of Stretch Zone’s incredible FREE 30 Minute Stretch Session! Anybody and everybody can and should be stretched.

In fact, one Stretch Practitioner I spoke with at Stretch Zone says, “98% of the people I see in front of me really need to be stretched. is is something you should not live without.”

Remember, it’s just like getting your oil changed! Plus, celebrities and professional athletes have been getting stretched for years, so it’s time for the general population to be clued into the secret!

Get your FREE 30 minute stretch for yourself or do it for a friend or loved one… what better way to say you care than to give the gi of making life easier, of feeling healthier, lighter, and younger, and of feeling like yourself again?

VOL. 555 N 45
My Living Media. 2022 All Rights reserved. To Advertise call 772-247-6849 Need More Coupons - MyLivingMedia.com
Indiantown
In the Chasewood Plaza PGA EAST
US Hwy 1, Unit 145 Palm Beach Gardens,
561-644-2970 In the Seminole Shoppes PGA WEST
PGA
Unit 145 Palm Beach Gardens, FL
561-619-6029 In the Mirasol Plaza
Copyrighted©
JUPITER 6390 W
Road, Suite 4, Jupiter, FL 33458 561-529-2272
11940
FL 33458
6271
Blvd., #209,
33410
3 SESSIONS FOR $ 99 THE PERFECT GIFT foranyoneonyoulist, orevenforyourself. TAKE ADVANTAGE OF THIS ––––LIMITED TIME OFFER –––––––––––– WHILE IT LASTS! CONTACT STUDIO TO PURCHASE AND FOR ADDITIONAL DETAILS. *OFFER EXPIRES 12/23/22

Anybody freaked out about a category one hurricane besides me? I took the entire thing in stride, until a erward, when I realized the power of water! My backyard was full of river mud, seaweed, other people’s dock planks, and just general mess. I was lucky. e neighbor to my le had two feet of water under his house, where he has outdoor furniture, man-cave stu , and storage. He also had the entire river breach his pool and knock out his pool pump. I was right where he is now, during Frances and Jean, in 2004, 2005, and believe me, it wasn’t pretty! e neighbor on my other side, whose dock planks were about twenty years old, lost many of them, some to the river, some to my backyard. His neighbor also had her pool breached with river mud, and lost her pool pump. I can’t say how anyone else did, but I heard plenty of stories of broken docks and unmoored boats.

My point is this. Until now, I paid attention to the actual number of the storm, if it was a Category 1, I barely paid attention, a Cat 2 or 3, minimal concern, maybe some supplies, nothing drastic. I really became concerned if it was a Cat 4 and I hightailed out of town for a Cat 5. ose were the old days, ose were the old rules. Today we’re in an entirely new normal, and not a good one. e numbers no longer tell the story. Storm surge is now on the top of my list

of worries, where it will remain forever more. My street, the main road, and many other streets were under water. I can now understand why they tell you to never drive through deep water, because it can carry a car away, or submerge it. I thought that was an old wives tale, something that got hyped up on the news, to scare people. Nope. It’s real life, and the truth. e only good news, if there is any, for this minimal hurricane, is that it did not carry the lightening and thunder that most hurricanes do. I am not ashamed to admit, nothing scares me more than lightening.

I am originally from up north. From what I remember, which is at least 49 years ago, we never got these downpours that can completely derail travel. We also certainly never had to fear being killed by lightening, because it was not the cloud to ground lightening that we experience here in Florida. Maybe that’s all changed, maybe not. But I can tell you one thing, there is a price to pay for the paradise that we live in, and that price is steep. In a moment’s notice, we can lose property, homes, and even life. ose of us who choose to live here, either by desire or by default, really have to start paying attention to what Mother Nature is telling us. Ultimately, we are ghting a battle that many of us were not prepared for. My thoughts are these. We should stock up our cabinets as if we are going to lose power, for

days. If we do not use our canned goods, we can donate them right around this time of the year to those less fortunate, and be done with it. If we are able to a ord hurricane windows and doors, we should not put o getting them. If we cannot a ord them, plywood or metal shutters are the next best thing. A generator is the candle on top of the cake. If you have the money, it is a great investment.

We also have to think about our pets, our elderly, our in rm, and help out. Regardless of how much you might dislike your neighbor, or the political di erences you have with friends, this is not the time to be emotionally sel sh.

For What it’s Worth , it is up to every one of us to take people in, feed them, shelter them, and check on them afterward. If we are this side of luck, count your blessings. If we are on the other side of luck, hope that someone will care.I will. Will you?

Copyrighted© My Living Media. 2022 All Rights reserved. To Advertise call 772-247-6849

46 VOL. 555 N
Need More Coupons - MyLivingMedia.com
For What It’s Worth
Comments or Suggestions DrMelfi@mediaoms.com CELEBRATION CAKES! AND OTHER BAKED GOODS... THEY’RE DIVINE! Custom $ 50 OFF CUSTOM CAKES STARTING AT $450 With this MLM coupon. Expires 12/30/22 • Wedding Cakes • Birthday Cakes • Cake Pops • Cupcakes • Over 13 Cake Flavors • Over 12 Fillings • Over 12 Frosting Flavors Let us make your occasion divine 561-783-5640 SCAN HERE TO VISIT OUR INSTAGRAM
Located in the YumYum Plaza 815 S. US Hwy. 1, Jupiter FL 561-781-3696 HOME FURNISHINGS INSPIRED BY The Salt, Sand, & Sea Classic & Timeless Furniture, Unique Coastal Lighting, Accessories, & Rugs summerhousefurniture.com Mon.-Sat. 10am-6pm | Sun. 12:30pm-5pm
48 VOL. 555 N Copyrighted© My Living Media. 2022 All Rights reserved. To Advertise call 772-247-6849 Need More Coupons - MyLivingMedia.com Make Your Shower & Floors Look New Again! • Tile & Grout Cleaning • Grout Restoration • Tile & Grout Repair • Loose & Hollow Tile Rebonding • Shower Repairs & Regrouting • Non-Slip Tile Treatment Call today for a FREE Estimate • 772-224-3011 or 1-800-561-3736 • www.GroutsmithStuart.com SEE THE DIFFERENCE WE CAN MAKE IN THE LOOK OF YOUR HOME! Your Grout & Tile Cleaning Experts $30OFF ANY JOB OF $300 OR MORE $50OFF ANY JOB OF $500 OR MORE With this MLM coupon only. Cannot be combined with any other offers or specials. Expires 12/23/22 No More Dirty Grout! Before Before After After With this MLM coupon only. Cannot be combined with any other offers or specials. Expires 12/23/22 Guaranteed for 10 Years! THE GROUTSMITH SOLAR SHADES Manual or Motorized available Seaglass Window Fashions • Stained Wood Plantation Shutters • Zebra Shades • Honeycomb Shades • Woven Wood Shades • Sheer Shades American Made 561-430-4440 Quick Turnaround! PBG, Jupiter, Palm City, Stuart, Port St. Lucie White Poly Vinyl Plantation Shutters
VOL. 555 N 49 Copyrighted© My Living Media. 2022 All Rights reserved. To Advertise call 772-247-6849 Need More Coupons - MyLivingMedia.com expires 12/15/22 • Lawn Grass • Batting Cages • Bocce Courts • HOA Playgrounds • Putting Greens • Pet Grass • Pool Areas • Paver Strips 7715 SW Ellipse Way, Stuart 772.494-2481 We look forward to exceeding your expectations in everything we do! HOLIDAY SPECIAL! See Our Work 15% off Your Synthetic Turf Putting Green
50 VOL. 555 N Copyrighted© My Living Media. 2022 All Rights reserved. To Advertise call 772-247-6849 0 DOWN FINANCING AS LOW AS $130/MONTH! Turnkey Installations! Electric and Gas Contractors! Fully Licensed and Insured! Factory Authorized Technicians! 24 Hour Emergency Service! Service and Maintenance! Unmatched Quality! Celebrating 35 Years in Business! ENDOF SEASON SA L !E ENDOF SEASON SA L !E ENDOF SEASON SA L !E HOME STANDBY GENERATORS Limited Time Offer! OFF $1,000 Valid Through 12/2022 *Must Have Promo Present At Time Of Signing* We ARE the Professionals! Supplies Are Limited! Reserve Your Generator Today! Up to Generator Installation! BE THE HOUSE ON YOUR BLOCK WITH THE LIGHTS STILL ON Elec. Lic #EC13002031 Gas: 24513 BE PREPARED FOR NEXT HURRICANE SEASON CALL TODAY FOR YOUR FREE IN HOME ESTIMATE 561-202-3535 www.PowerRestored.com 0 DOWN FINANCING AS LOW AS $130/MONTH! Turnkey Installations! Electric and Gas Contractors! Fully Licensed and Insured! Factory Authorized Technicians! 24 Hour Emergency Service! Service and Maintenance! Unmatched Quality! Celebrating 35 Years in Business! ENDOF SEASON SA L !E ENDOF SEASON SA L !E ENDOF SEASON SA L !E HOME STANDBY GENERATORS Limited Time Offer! OFF $1,000 Valid Through 12/2022 *Must Have Promo Present At Time Of Signing* We ARE the Professionals! Supplies Are Limited! Reserve Your Generator Today! Up to Generator Installation! GENERATORS NOW INSTOCK! 0 DOWN FINANCING AS LOW AS $130/MONTH! Turnkey Installations! Electric and Gas Contractors! Fully Licensed and Insured! Factory Authorized Technicians! 24 Hour Emergency Service! Service and Maintenance! Unmatched Quality! Celebrating 35 Years in Business! ENDOF SEASON SA L !E ENDOF SEASON SA L !E ENDOF SEASON SA L !E HOME STANDBY GENERATORS Limited Time Offer! OFF $1,000 Valid Through 12/2022 *Must Have Promo Present At Time Of Signing* We ARE the Professionals! Supplies Are Limited! Reserve Your Generator Today! Up to Generator Installation! GENERATORS NOW INSTOCK!
VOL. 555 N 51 Copyrighted© My Living Media. 2022 All Rights reserved. To Advertise call 772-247-6849 Need More Coupons - MyLivingMedia.com GET AFFORDABLE HOME & AUTO INSURANCE Sam is right on Jensen Beach Blvd. and would love to help you. Samantha Leininger Renée Allen Insurance, LLC 947-A NE Jensen Beach Blvd Jensen Beach, FL 34957 NEXT TO HURRICANE GRILL Monday thru Friday • 8:30-5:00pm 772-252-6161 sam@reneealleninsurance.com Personal & Commercial Rate Increase? Policy Canceled? HELPING YOUR BUSINESS BECOME MORE EFFICIENT WHILE SAVING MONEY! 561-419-9530 CARRIER ASSESSMENT Complimentary (Valued at $350) With this MLM Coupon • CARRIER SERVICES • VoIP SERVICES • VIDEO CONFERENCING • NETWORKING & WIFI Treasure Coast 772-210-3530 Palm Beach WHOLESALE FENCING INSTALLATIONS & REPAIRS HOME OF THE LOWEST PRICE GUARANTEE Honest, Trustworthy, Hassle-Free Service From A Family-Owned Business FREE GATE WITH PURCHASE OF EVERY 150 FT. OF FENCING. UP TO A $450 VALUE FENCING SOUTH FLORIDA 561-612-2018 With this MLM coupon. Not valid with any other offer or prior purchases. Offer expires 12/31/22 PVC/VINYL FENCING CHAIN LINK FENCING “We guarantee to beat any price you have from any legitimate fence company” Licensed &Insured Broward 11-F-17403-X Palm Beach U-21752 WWW.FENCINGSOUTHFLORIDA.COM OFFICE 561-612-2018 SERVING BROWARD & PALM BEACH FREE REMOVAL OF EXISTING FENCE WITH PURCHASE OF NEW FENCING NO MINIMUM REQUIRED (excludes hurricane damaged fencing) FENCING SOUTH FLORIDA 561-612-2018 With this MLM coupon. Not valid with any other offer or prior purchases. Offer expires 12/31/22 Visit our website to see our episode on Designing Spaces NOW INTRODUCING OUR NEW ART DIVISION Custom Metal Works in Any Shape and Style added to your fence, gates, entry door, and interior or exterior house walls WOOD FENCING ALUMINUM FENCING WE DO IT RIGHT THE FIRST TIME FOR LESS.
52 VOL. 555 N Copyrighted© My Living Media. 2022 All Rights reserved. To Advertise call 772-247-6849 Need More Coupons - MyLivingMedia.com Pressure Washing & Roof Cleaning • Screen Enclosure Frames • Driveways • Paver Sealing • Eco Friendly • Much More! www.pwpbg.com Workman’s Comp • Licensed & Insured Our Guarantee - If your house doesn’t look 157% better than before, we will refund you 100% of your money. “We Clean Barrel Tile, Metal, Asphalt Shingle Roofs & Cedar Shake Roofs” GOT MOLD ON YOUR ROOF? CALL OLIVER TWIST TODAY! We Are Commercial Specialists! Call James for Specials! BEFORE AFTER OliverTwist 561-771-0310 Serving South Florida Since 1999 SENIOR DISCOUNTS CALL FOR DETAILS RESIDENTIAL & COMMERCIAL • Shingles • Synthetic Shingles • Metal • Tile • Aluminum 1500 N Florida Mango Rd Suite 3 • WEST PALM BEACH (561) 264-6233 $500 Off $1000 Off Any Roof $10,000 or more. Any Roof $20,000 or more. Must present coupon when signing contract 12/31/22 Must present coupon when signing contract 12/31/22 NEED SHUTTERS THIS WEEK? Family Owned & Locally Manufactured Plantation Shutters • ANGLES & RAKES • ARCHES & SUNBURSTS • OTAGON, CIRCLE, HEXAGON • SILL COVERS & CAPS HORIZONTAL ARCH PLANTATION SHUTTERS SUNBURST PLANTATION SHUTTERS www.plantationshutters a.com Treasure Coast Palm Beach 772-600-4253 or 561-420-0418 Visit our manufacturing shop at: 406 Farmers Market Rd Ft Pierce, FL 34982 IN HOME ESTIMATES FREE $1695 SQ. FT. INSTALLED Starting at Plantation Shutters Florida™ Your Plantation Shutter Specialist Plantation Shutters Florida™ We are the Real Manufacturer Licensed & Insured CALL TODAY AND GET UP TO 10% DISCOUNT Restrictions may apply.
VOL. 555 N 53 Copyrighted© My Living Media. 2022 All Rights reserved. To Advertise call 772-247-6849 Need More Coupons - MyLivingMedia.comHURRICANE IMPACT WINDOWS & DOORS PROTECT WHAT’S PRECIOUS TO YOU! • Hurricane Protection • Home Security • Save on Energy Bills • Save on Insurance Costs • Increase Property Value • Noise Reduction Your Expert in Single Family Homes & Condos! “Our service & products are second to none!” The People’s Choice In Hurricane Protection! 561-336-6511 SAME DAY Appointments! AS LOW AS $120 MO. FINANCING Available! We Beat ALL Competitors’ Pricing CALL FOR DETAILS INSTALLATION & NO SALES TAX. EXP 12/15/22 License #CBC1264950 & INSURED Serving Palm Beach, Martin, & St. Lucie Counties 50% Off
54 VOL. 555 N Copyrighted© My Living Media. 2022 All Rights reserved. To Advertise call 772-247-6849 Need More Coupons - MyLivingMedia.comPUZZLE PAGE SUDOKU PUZZLE PUZZLE PAGE CROSSWORD ACROSS 1 Dame Dench 5 Witty one 8 Leer at 12 Western tribe 13 TV pioneer 14 Eye part 15 Dressing ingredient 17 Sugar unit 18 Fill in -- blank 19 Conclude 20 Monk’s home 21 Droop 22 Bikini top 23 Wan 26 Germ 30 God, in Granada 31 Joke 32 Spoken 33 “You wish!” 35 Pesky insects 36 Chairman of China 37 Greyhound vehicle 38 Hoopster 41 Dict. info 42 Chi follower 45 Sandwich cookie 46 Fuel-producing area 48 Hindu royal 49 Parisian pal 50 Advertising award 51 Genesis shepherd 52 Service charge 53 Slangy OKs DOWN 1 Equitable 2 Beehive State 3 Take out of context? 4 “This -- recording” 5 Incorrect 6 Battery uid 7 Lass 8 Getty and Rockefeller, e.g. 9 Vittles 10 Margarita garnish 11 Glimpse 16 Campus VIP 20 Lob’s path 21 Staple in some Asian recipes 22 Ginormous 23 Do sums 24 Polite address 25 Weed whacker 26 Chess piece 27 -- pro nobis 28 Cudgel 29 Overhead trains 31 Sticky stuff 34 Scratch 35 Nonsense 37 Prove untrue 38 Comics’ Mrs. Dithers 39 Bedouin 40 Hereditary unit 41 Exemplar of thinness 42 Soccer legend 43 Faux pas 44 Nuptial vows 46 Klutz 47 Glacial Solutions See Page 56
VOL. 555 N 55 Copyrighted© My Living Media. 2022 All Rights reserved. To Advertise call 772-247-6849 Need More Coupons - MyLivingMedia.com Live 24/7 Answering PDSMartin.com Locally Owned & Operated 561-819-4530 Expires 12/10/22. Our proprietary springs will not rust or corrode and last up to 4 times longer! Fences • Gates • Railings • Wood • Chain Link • PVC • Aluminum ALLIED ALUMINUM & RAILING (Minimum of 100 ft) With this MLM coupon. Expires 12/10/22 $100 Off Keep What You Love Safe! Licensed & Insured License #U-17525 94-7491-FX MC1800195 CALL TODAY FOR YOUR FREE ESTIMATES! 561.232.2757 www.alliedaluminum.us
56 VOL. 555 N Copyrighted© My Living Media. 2022 All Rights reserved. To Advertise call 772-247-6849 Need More Coupons - MyLivingMedia.com 772-783-9517 I.M.A.Landscaping@gmail.com IMA LANDSCAPING TREE & PALM SERVICES With this MLM Coupon FREE STUMP REMOVAL Get 1 Free Stump Removed w/Purchase of 3 Stump Removals We Beat AnyEstimateWritten Lic & Ins Serving PSL, Martin, Palm Beach FREE ESTIMATES WE SPECIALIZE IN TREE REMOVAL • Rock & Stone Install • Palm/Tree Removal • Irrigation install & Services • Stump Grinding • Mulching & Sod Installed • Tree Trimming TREE & PALM TRIMMING • Pressure Washing • Brazilian Pepper Tree Cut Back & Removal • Installation/Design • Lawn Maintenance • Clean Ups/Hauling • Weeding & Much More • H.O.A. Complaint Letters • H.O.A Approved • Hazardous trees that are too close to the roof Get ready for the Holidays! Add new mulch, plants & flowers to your landscape. S U D O K U Solution CROSSWORD SOLUTION SOLUTION TIME: 25 MINS. PUZZLE SOLUTIONS PUZZLE SOLUTIONS $500 OFF $75 OFF FREE Any New Roof $8000 & Up Any Roof Repair $750 & Up Estimates On Roofs & Repairs Expires 12/31/22 Expires 12/31/22 Expires 12/31/22 561-566-5601 www.myroofsystem.com WHERE QUALITY & SERVICE MAKES THE DIFFERENCE CALL FOR A FREE ROOF EVALUATION TODAY! From… PROTECT YOUR PROPERTY WITH EXPERT ROOFING • ROOF REPAIR • ROOF REPLACEMENT • ROOF LEAK DETECTION • NEW CONSTRUCTION
VOL. 555 N 57 Copyrighted© My Living Media. 2022 All Rights reserved. To Advertise call 772-247-6849 Need More Coupons - MyLivingMedia.com CALL TODAY FOR A free estimate! DRIVEWAYS • WALKWAYS • PATIOS • POOL DECKS • RETAINING WALLS CUSTOM POOL REMODELS • NEW POOL CONSTRUCTION • CLEAN & SEAL PAVERS • REPAIRS MARTIN 772-419-5151 PALM BEACH 561-844-9370 apexpaversandpools.com LICENSED & INSURED: CPB #4701 • U-20589 • U-20796 • RP #4701 *WITH APPROVED CREDIT. OFFERS CANNOT BE COMBINED. Apex Pavers & Pools, Inc. 725 SE Monterey Rd., Stuart, FL 34994 COME VISIT OUR SHOWROOM! POOLS TRANSFORMING THE ORDINARY TO Extraordinary FINANCING AVAILABLE CONTACT US TODAY TO LEARN MORE* CALL TODAY FOR A free estimate! DRIVEWAYS • WALKWAYS • PATIOS • POOL DECKS • RETAINING WALLS CUSTOM POOL REMODELS • NEW POOL CONSTRUCTION • CLEAN & SEAL PAVERS • REPAIRS MARTIN 772 - 419-5151 PALM BEACH 561-844-9370 apexpaversandpools.com LICENSED & INSURED: CPB #4701 • U-20589 • U-20796 • RP-252555006 *WITH APPROVED CREDIT. OFFERS CANNOT BE COMBINED. Apex Pavers & Pools, Inc. 725 SE Monterey Road, Stuart, FL 34994 POOLS TRANSFORMING THE ORDINARY TO Extraordinary 12 MONTHS SAME AS CASH NO INTEREST, NO PAYMENTS FOR 12 MONTHS* COME VISIT OUR NEW SHOWROOM! DRIVEWAYS • WALKWAYS • PATIOS • POOL DECKS • RETAINING WALLS CUSTOM POOL REMODELS • NEW POOL CONSTRUCTION • CLEAN & SEAL PAVERS • REPAIRS LICENSED & INSURED: CPB #4701 • U-20796 • RP-252555006 • CPC 1458696
58 VOL. 555 N Copyrighted© My Living Media. 2022 All Rights reserved. To Advertise call 772-247-6849 ing and refacing services, your original cabinet boxes stay in place –saving you the time, cost, and mess of a complete remodel. We’ll have your kitchen looking brand new in no time! Give us a call to schedule your free, in-home estimate. Before Refacing CALL TOD AY 561. 861.3532 DIEGO HERNANDEZ Locally Owned and Operated Serving Jupiter, FL and the surrounding area. Hassle-Free Kitchen Updates Choose a new color and style for your kitchen with cabinet refacing. kitchentuneup.com 1 DAY TUNE-UP • REFACING • REDOORING • CUSTOM CABINETS AND MORE! Family Owned & Operated since 1983 24-HOUR SERVICE 4 Generations of Plumbing & Knowledge! TOLL FREE 2647 President Barack Obama Hwy., Riviera Beach, FL 33404 561-625-9414 800-323-0263 www.NorthCountyPlumbing.org • Licensed • Bonded CFC026530 Serving All of Palm Beach County for 38 Years Strong & Still Growing! PLUMBING PROBLEMS? We can handle any plumbing repair, from Big to Small! 10% $1099 $ 425 $ 99 OFF ANY SERVICE CALL Maximum ($100 Discount) With this MLM coupon. Cannot be combined with any other offer. Expires 12/31/22 INSTALLED WATER HEATER SPECIAL Electric Only. 50 - 40 - 30 - Tall or Med. No Hidden Costs Regular Price $1199 - Special Price $1099 - SAVE $100 With this MLM coupon. Cannot be combined with any other offer. Expires 12/31/22 TOILET REBUILD SPECIAL Includes Fill Valve & Flapper. Standard Toilets Only Regular Price $148 - Special Price $99 - SAVE $49 With this MLM coupon. Cannot be combined with any other offer. Expires 12/31/22 In Garage on Floor Only. +TAX NEW TOILET Supply & Install White Round or Elongated Toilet With Seat, Standard Height. Reg. Price $499, Special Price $425 SAVE $75. Additional Charges May Apply. With this MLM coupon. Cannot be combined with any other offer. Expires 12/31/22 Happy Thanksgiving
VOL. 555 N 59 Copyrighted© My Living Media. 2022 All Rights reserved. To Advertise call 772-247-6849 561-468-7281 www.windowreplacementgroup.com SCC# 131152429 CBC# 1264555 Per Window Per Door $ 35 OFF $ 110 OFF Expires 12/10/22 Expires 12/10/22 IMPACT WINDOWS & DOORS The Group of Professionals You Can Trust! Energy Saving Enhance Homes Appearance & Value Hurricane & Burglary Protection Reduce Insurance Cost Sound Reduction 0% PLUS! SALES TAX!

ACE OF CARTS : Your Local Golf

The Florida lifestyle provides us with a host of options for getting from point A to point B... from scooters to speed boats, we’ve got them all! e golf cart in particular has, with all of the gated communities in the Sunshine State, become an easy and convenient way to get around the area. Golf carts aren’t just for private neighborhoods or the links though; in fact, they have even become a quick way to tote the kids to and from the bus stop every day! Do the prices at the pumps tempt you to put the car in the garage for a while? Head to Ace of Carts, the area’s largest golf cart superstore with the best selection of golf carts, golf cart accessories, and top-notch service!

Ace of Carts is a family-owned and operated business led by Nick Rotundo and his dad, Rock Rotundo. Nick and Rock were in the automotive business together before making the move from upstate New York to south Florida seven years ago. Nick explains that a er moving, his family had a di cult time purchasing a golf cart for his grandmother, who had moved into a gated community. So, Nick and Rock ventured into the golf cart sales business together, becoming an authorized retailer for ClubCar, Yamaha, Icon, and Polaris Commercial golf carts.

In 2018, the Rotundo family moved the business to its current Stuart location (formally Tri County Golf Carts). Ace of Carts now employs over 30 sales, service, and customer care personnel, and is the highest volume sales dealer of golf carts in the area! In addition to golf carts, Ace of Carts has an inventory of electronically-assisted bikes (ebikes) for the bike rider who wants a more comfortable option when it comes to pedaling uphill.

Aside from their vast inventory, Ace of Carts is the go-to source for many Palm Beach, St Lucie, and Martin County residents due to Nick and Rock’s industry experience and dedication to exceptional service. In these challenging times of supply and

e NEW Ace of Carts in Tequesta is located at 552 US Highway N. NOW OPEN Mondays-Fridays from 10AM to 5PM and Saturdays from 9AM to 3PM.

Ace of Carts in Stuart is located at 4880 SE Federal Highway.

Ace of Carts in Daytona Beach is located at 2674 LPGA Boulevard.

demand, the service team at Ace of Carts does everything possible to guarantee that customers have their service and sales needs met. Ace of Carts’ factory-trained technicians have the knowledge to provide quality diagnostics, service, and repair for any golf cart. ey realize that golf carts are important to lifestyle routines, so they make timely service a priority.

One of many happy Google reviewers says of Ace of Carts, “I purchased my Club Car cart from Ace of Carts about four years ago and have been supported by them the entire time. If I have questions, I receive answers by a call or text immediately. ey truly want the entire experience to be as close to perfect as possible. Nick and the entire family are fantastic… and I like supporting a family business…”

In addition to their Stuart location, Ace of Carts has expanded to two more locations, one in Daytona Beach and the other, newest one in Tequesta, the Grand Opening of which is later this month. Tequesta’s premier 3,000 square foot showroom will still have the same o erings as the other locations, but will be more focused on the customer experience. Nick explains, “ e Tequesta location will be geared more toward the golf customer.” ere will be a digital golf simulator on the premises, along with other interactive displays and attractions that customers can explore while shopping for carts and accessories! Nick adds, “ e customers will leave the store more informed than when they walked in.”

Like Ace of Carts’ other locations, the Tequesta location will provide FREE cart pick up and delivery with almost every sale. Ace of Carts also o ers 0% nancing for 48 months on select products, making it easy to purchase a golf cart that will absolutely be the envy of the neighborhood.

Find the perfect golf cart at Ace of Carts, and stay tuned for the Tequesta Ace of Carts Grand Opening!

Ace of Carts can also be found at the Daytona Flea & Farmers Market, located at 1425 Tomoka Farms Road in Daytona Beach.

Copyrighted© My Living Media. 2022 All Rights reserved. To Advertise call 772-247-6849

Visit Ace of Cart’s website to view their gallery of inventory at aceofcarts.com. For more information, call 1-833-ACE-CART (223-2278) or call 772-678-7636.

4 VOL. 548 H/K
Need More Coupons - MyLivingMedia.com
Copyrighted© My Living Media. 2022 All Rights reserved. To Advertise call 772-247-6849 Now Open in Tequesta! Authorized Dealer CARTS IN STOCK AND READY FOR DELIVERY! Cart Superstore! Ace of Carts has the Area’s Largest Selection of Golf Carts! SALES• SERVICE • PARTS Ace of Carts Red Tag Sales Event! OVER 200 BRAND NEW CLUB CARS IN STOCK! Must be a 2022 Model Year Club Car from dealer stock. Offer Valid through December 22nd or while supplies last. Financing is available with standard rates. Not eligible for 0% Financing promotion; offers do not combine. $1,000 in FREE Accessories FREE Local Delivery Destination & Setup Charges. REGISTER ONLINE TO GET: https://aceofcarts.com/red-tag/ Promo code: MLM822
62 VOL. 555 N Copyrighted© My Living Media. 2022 All Rights reserved. To Advertise call 772-247-6849 *Additional charges may apply for heavily soiled areas Serving the Treasure Coast from Vero to Palm Beach 772-919-7163 • 561-250-0088 WWW.CarpetCleanerInFlorida.com 3 ROOMS $68 2 ROOMS $42 5 ROOMS $99 TILE & GROUT CLEANING 39¢ SQ. FT. 100 SQ. FT. MINIMUM FURNITURE CLEANING $60 SOFA OR LOVE SEAT OR 2 CHAIRS AREA RUGS $40 AND UP PREVENTS FIRES DRYER VENT CLEANING FREE DEODORIZER, SANITIZER, & DISINFECTANT $85FROM & SPEEDS DRYING TIME OFFER #MS11-2 CARPET CLEANING Licensed Ask about ...dries in half the time!
VOL. 555 N 63 Copyrighted© My Living Media. 2022 All Rights reserved. To Advertise call 772-247-6849 Need More Coupons - MyLivingMedia.com WE SERVICE THE FOLLOWING VERO AREA South of State Road 60, East of I-95, South of the 17 th Street Bridge THE WINDOW & DOOR SPECIALIST 772-288-6205 WWW.KAMRELL.COM KAMRELL When You Want It Hung Well... TRUST FAMILY OWNED & OPERATED SINCE 1999 8200 SW LOST RIVER ROAD STUART, FLORIDA 34997 Financing Options Available On Our Website LICENSED & INSURED CGC061180 THE DOOR SYSTEM YOU CAN BELIEVE IN THE DOOR OF BEAUTY AND INOVATION
Residential Customer PRSRT STD ECRWSS US POSTAGE PAID PERMIT #145 STUART, FL 2081 SE Ocean Blvd. • Suite 4 Stuart, Florida 34996 • 772-334-2121 FREE Quote! Call Today Licensed & Insured SCC131151738 Hurricane Windows Windows & Doors *FINANCING DISCLOSURE: Contractor is neither a broker nor a lender. Financing is provided by third-party lenders unaf liated with Contractor, under terms and conditions arranged directly between the customer and such lender, All subject to credit requirements and satisfactory completion of nance documents. Any nance terms advertised are estimates only Don’t Get Caught Off Guard Use Florida’s #1-Rated Hurricane Window www.MaxGuardHurricane.com 561-566-5629 • 772-932-5629 $ 0 Tax 0 % Interest $ 0 Payments /24 MONTHS 0% BUY NOW PAY LATER FINANCING AVAILABLE /24 MONTHS $164 per month • Hurricane Protection • Home Security • Energy Efficiency • Reduced Insurance Costs • Increased Property Value • Sound Reduction Think Windows are too much?

Turn static files into dynamic content formats.

Create a flipbook
Issuu converts static files into: digital portfolios, online yearbooks, online catalogs, digital photo albums and more. Sign up and create your flipbook.