N6-Palm Beach Living-Vol.561

Page 1

“I personally visit every completed job for final inspection!” Peter Bulger, Owner Bring Your Outdoors Indoors with... Palm Beach Living Country Estates VOL. 561-N6 Index Page 9 MYLIVINGMEDIA.COM For What It’s Worth Page 48 Mosquito Shield Pages 4-5 Puzzle Page Page 46
2 VOL. 561 N Copyrighted© My Living Media. 2023 All Rights reserved. To Advertise call 772-247-6849 MMJ Health Make the Appointment Use our patient qualification system to see if you qualify for medical marijuana. See the Marijuana Doctor See one of our qualified physicians at one of our many locations in Florida. Get Your Card You will be able to visit and get delivery from any dispensary in Florida. Let Dr. Morgan, The Highest Rated MMJ Doctor, at MMJ Health find your Alternative to Pharmaceuticals! Anne L. Morgan, M.D. When it comes to finding medical marijuana (MMJ) doctors, you can trust the helpful and professional staff at MMJ Health. Serving patients in Palm Beach, Martin, & St. Lucie Counties. Call MMJ Health to schedule an appointment with a Florida Medical Marijuana Doctor: WINNER OF BEST DISPENSARY, BEST MEDICAL MARIJUANA CARD PROVIDER, BEST CBD STORE, AND FINALIST FOR BEST PLACE TO WORK HOW IT WORKS Treasure Coast 772-212-4032 Palm Beach 561-631-7994
Need More Coupons - MyLivingMedia.com FINANCING AVAILABLE Impact Resistant Fiberglass & Mahogany Entry Doors • Impact Resistant Decorative Glass Inserts Interior Doors • Impact Resistant French & Sliding Glass Doors Call today 561.464.6102 to schedule your FREE SHOWROOM appointment or schedule online Floridadoors.com BOCA RATON | 9858 Clint Moore Rd., Suite C-128 • Boca Raton, FL 33496 Tuesday - Friday • 9am - 5pm Saturday • 9am - 4pm WEST PALM BEACH | 346 Pike Road, Suite 6, West Palm Beach, FL 33411 Monday - Friday • 7am - 4:30pm Saturday • 9am - 2pm JUPITER | 75 E. Indiantown Road, Suite 507, Jupiter, FL 33477 Tuesday - Friday • 9am - 5pm Saturday • 9am - 4pm LICENSE # CBC037800 * Offer not valid on prior sale. Applies to installed exterior & interior doors only. Offer ends Feb. 28, 2023

OF THE PALM BEACHES

At Mosquito Shield of e Palm Beaches, the goal is to provide the best mosquito control with the highest level of customer service, thus allowing people to enjoy their homes and time with family to the fullest.

Owners Danielle and Brett Basinski have been in the South Florida area for 45+ years combined. ey are both avid golfers and love being outside enjoying sunny Florida with their 3 kids and Goldendoodle. ey are excited to help families in Palm Beach County enjoy their outdoor living space without the nuisance and health risk of mosquitos!

Danielle has more than 20 years of experience in the hospitality industry –speci cally in luxury, high-end country clubs and resorts – while Brett has worked in sales for more than 25 years. ey currently reside in Palm Beach Gardens and are very familiar with the territory.

When asked what attracted them to Mosquito Shield, they said, “We fell in love with the business model and the ‘turn-key’ blueprint provided to new owners. e corporate owner’s and executive management team are knowledgeable and receptive to feedback and answering all our questions. As small business owners, we are obsessive about providing our customers an exceptional experience when we are trusted with protecting families from the nuisance and health risk of mosquitos. One thing we realized when looking at potential businesses was everyone hates mosquitos! We look forward to helping you and your family enjoy the beautiful South Florida weather year-round.”

HOW IT WORKS:

Mosquito Shield creates a mosquito control barrier that keeps mosquitoes away. It takes just a few minutes of spraying for a typicalsized yard with their proprietary blend of mostly natural oils. You might detect just a hint of garlic immediately a er the spraying, but otherwise, you won’t notice a di erence. e mosquitoes, however, will de nitely know that something has changed... ey’ll stay away from your yard!

roughout the summer, Mosquito Shield visits as o en as needed to maintain that barrier against mosquitoes. Rather than setting you up with a rigid schedule, they watch the weather. Why? Because the weather dictates the life cycle of the mosquito, and that’s what Mosquito Shield wants to disrupt.

Copyrighted© My Living Media. 2022 All Rights reserved. To Advertise call 772-247-6849
Coupons - MyLivingMedia.com
Need More

Mosquito

You can’t control mosquitoes on a set number of sprays or visits. Unlike our competition, we service you for the season, whatever it takes to provide superior results. This promise has awarded us an industry-leading customer retention rating of 90%.

We actively monitor both mosquito population and weather conditions and adjust your treatments as needed. On average, we spray every 10-17 days, a proven and effective approach that has us spraying 4-6 more times than the industry average.

VOL. 559 H /K 5 Copyrighted© My Living Media. 2022 All Rights reserved. To Advertise call 772-247-6849 Need More Coupons - MyLivingMedia.com Why Mosquito Shield? SHIELD YOUR LOVED ONES 561-567-8929 OF THE PALM BEACHES BETTER RESULTS MORE SPRAYS BETTER VALUE
Shield provides the best value in mosquito control services because
how we treat your yard using The Mosquito Shield Tailored Treatment System™. We don’t use a xed
identical product,
service program.
of
schedule,
“one-sizets-all”
$25 FIRST MONTH Expire 3/5/23 OFF
6 VOL. 561 N Copyrighted© My Living Media. 2023 All Rights reserved. To Advertise call 772-247-6849 Need More Coupons - MyLivingMedia.com Call for a free in home design consultation and estimate Imagine your home, totally organized! Custom Closets, Garage Cabinets, Home Offices, Pantries, Laundries, Hobby Rooms and more... 40% Off Plus Free Installation Terms and Conditions: 40% off any order of $980 or more or 30% off any order of $680-$979 on any complete Custom Closet, Garage Cabinets, Home Office, Pantry, Laundry, Wall Bed, Wall Unit, Hobby Room or Garage Flooring system. Not valid with any other offer. Free installation with any complete unit order of $600 or more. Expires in 30 days. Call for a free in home design consultation and estimate (561)203-4745 www.closetsbydesign.com MSJ Follow us 2020 © All Rights Reserved. Closets by Design, Inc. Walk-In-Closets Laundry Rooms Home Offices Garage Cabinets Follow us www.closetsbydesign.com CGC1509325 & MC1900055 (561) 203-4745 MSJ
CALL US FOR A FREE, NO OBLIGATION QUOTE 772-325-1603 Guaranteed Pricing for Customized Solutions Technicians are certified by the EPA Licensed, insured, and direct employees 100% Happiness Guarantee Mention Code “FBL23” FREE DUCT SANITAZATION with Air Duct Cleaning! 21-point HVAC inspection Complete AC report card - emailed after service Deep drain line flush Lubricate motors, clean unit housing Ductwork camera inspection A Homeowner’s Essential to Prevent Breakdowns During the Hottest Months! Avoid thousands in repair costs! ONLY $99 • • • Free Air Duct Sanitization is valid when purchased with Air Duct Cleaning and expires on 3/17/23. local@ lterbuy.com (c) 2023 Filterbuy, INC. All rights reserved Florida’s A/C & Duct Cleaning Experts 24 HOUR EMERGENCY HVAC SERVICE FREE SERVICE CALL WITH ANY REPAIR WHITE GLOVE A/C INSTALLATION Virtual or in person consultations Site visits by technicians, not salespeople No worry ownership - 5-year and 10-year Extended Labor Warranties Avoid future headaches - FREE UV lights, surge protectors and drain guards with every install FREE A/C ESTIMATES INTEREST-FREE FINANCING! Includes 2 years of our premium maintenance contract: • FREE air filters • FREE annual condenser coil cleaning • FREE annual replacement parts, surge protectors, and drain guards EXPERT HVAC TUNE-UP
2 LOCATIONS Treasure Coast Mall, Jensen Beach COHEN’s COHEN’ OptiCal Pinecrest Lakes Including Hollycreek & Timberwick Living 549-A7 MYLIVINGMEDIA.COM $1000 OFF JetSetter Membership Indian River Shores Living MYLIVINGMEDIA.COM Index Page 9 551-E4 Okeechobee Cowtown Rodeo See Page 9 March 8th - 10th Okeechobee WEST Living VOL. Index Page 30 MYLIVINGMEDIA.COM Meet Sean Quinn… See Pages 4-5 Your trusted neighborhood Realtor Our Local Market is Shifting & You need to know exactly what that means! River Shores North VOL. 549-A1 Living MYLIVINGMEDIA.COM Index Page 9 Meet Soraya Cedeño CEO of Organic Tagua Jewelry See Pgs. 18 & 19 Sailfish Point VOL. 549-A2 Living MYLIVINGMEDIA.COM Index Page 9 NO WATERING NO MOWING NO FERTILIZING VeroBeach VOL. Living West MYLIVINGMEDIA.COM Index Page 9 Jupiter VOL. 549-D1 DIRECT MAIL High-quality printed post cards & inserts allow you to target specific zip codes every two weeks FREE digital, mobile, & social media marketing for every one of our direct mail clients Mailing Martin, St. Lucie, Indian River, Okeechobee, & Palm Beach Counties my LIVING MEDIA ON THE WEB We are Florida’s Premier Direct Mail & Multimedia Marketing Company 1¢MAIL Some Restrictions Apply. Please call for details. PER HOME FOR ONLY… 15,000* HOMES CONNECT TO YOUR COMMUNITY… 772-247-6849 100+ UNIQUE COMMUNITY MAGAZINES
upiter Living Index Page 9 Shop Local - Beautiful Designer Furniture and Furnishings Furniture Store Island VOL. Living MYLIVINGMEDIA.COM Index Page 9 Janice Milesic Steve Milesic Sebastian 551-U1 Living MYLIVINGMEDIA.COM Index Page 9 EAT. DRINK. CHILL. Grand Harbor Living MYLIVINGMEDIA.COM Index Page 9 VOL. Including Oak Harbor and River Club Gardens Palm Beach Living MYLIVINGMEDIA.COM VOL. 549-I5 THC TOTAL HOME DISCOVER THE PREMIER POSSIBILITIES A Taste of Italy in Every Bite Torino VOL. 549-F3 Living MYLIVINGMEDIA.COM See Pgs. 52-53 Executive Chef, Taylor Wilson This Grill is American Cuisine and Full Bar Stuart Yacht & Country Club Living VOL. 549-O4 Index Page 9 MYLIVINGMEDIA.COM MY LIVING CONTENTS - ZONE N Volume 561 February 2023 For advertising rates and information Email: sales@mediaoms.com Call 772-247-6849 © 2023 by My Living Media. All rights reserved. Although some parts of this publication may be reproduced and reprinted, we require that prior permission be obtained in writing. My Living Magazine is a free publication distributed locally and is supported by our advertisers. Please call to find a location near you or if you would like copies placed at your business. We do not necessarily endorse the views expressed in the articles and advertisements, nor are we responsible for the products, and services advertised. We are not responsible for licensing or certifying businesses, nor are we responsible for verification of these requirements. We welcome your ideas, articles and feedback. *Dining pictures shown are for illustration purposes only. Actual products may vary due to product enhancement. ANIMALS AND PETS Health E Pets 18 AUTOMOTIVE Ace Of Carts ............................ 20 Pelican Car Wash 16 Prime Golf Cars 38 BEAUTY Beauty Medspa 45 Great Clips Pbg ........................ 16 Salon 1 Studios........................ 29 CLEANING SERVICES Honor Carpet Cleaning 62 Oliver Twist Pressure Washing..50 Royal Maid Service 44 Stanley Steemer 11 The Groutsmith Grout Cleaning 44 Xterior Xperts Pressure Cleaning42 DINING AND ENTERTAINMENT Brio Italian Grille 27 Copacabana 25 Mero Mero Cantina 27 Pierogi Bros 28 Plant Based Ma a 26 Poke N Go ................................ 26 Taco Shack .............................. 30 Thai West................................. 28 Tiramisu Pizzeria And Trattoria 28 West Palm Beach Antiques Festival 44 HOME IMPROVEMENT Alliance Group Roo ng ............. 34 Allied Aluminum And Railing .... 32 Alternate Power Solutions 35 Apex Builder Contractor Co 55 Apex Pavers And Pools ............. 57 Brilliant Roo ng ....................... 39 Camco Custom Pools ............... 42 Closets By Design 6 Coastal Closets And Showers 34 Complete Synthetic Turf 39 Du-All Plumbing 50 East Coast Electric Screening 12 Eco View Windows ................... 51 Face Of Wood .......................... 52 Fencing South Florida .............. 45 First Impression Doors And More 3 Gutters By Tk 52 IMA Landscaping 50 JL Closets, Inc. 13 Jupiter Sod And Landscaping 53 Kamrell Windows And Doors .... 53 Kitchen Tune Up ....................... 56 Marzo Roo ng Inc .................... 53 Max Guard Hurricane Windows 22 Max Guard Patio Enclosures 21 North County Plumbing 63 Ox Floor Coating 19 Plantation Shutters Florida 36 Plumb Rite Plumbing 42 PS Flooring Inc......................... 37 Quality Air Of America ................ 7 Roo ng Systems Of Fl .............. 56 Seaglass Window.....................42 Stott Brothers Electric 20 Stuart Roo ng 54 Total Image 54 Tropical Pools 47 Windowz And More .................. 49 Boss Public Adjusting ............... 48 JEWELRY Bergman Jewelers ................... 10 M & J Jewelers 20 Oteri’s Wholesale Jewelry 32 MEDICAL AND HEALTH Abacoa Podiatry 12 Alpaca Audiology ..................... 58 Appearance Implant and Family Dentistry ............. 59 Dentistry By Design 36 Dr. Samuel Holcroft 15 Goals Weight Loss.................... 47 MMJ Health 2 Premier Dentistry 43 Stretch Zone ............................ 33 PROFESSIONAL SERVICES Asap Dryer Vent Cleaning ......... 38 Business Technology Solutions 52 Demented Graphics 63 Dryer Vent Cleaner, The ............ 58 JDOG Junk Removal & Hauling 38 Mr. Tint Of America .................. 18 REAL ESTATE Ana Vega ................................. 14 Beach Front Realty 11 RETAIL Prestige Pawn 14 The Lamp Connection 18 The Summer House ................. 17 The Yankee Peddler Market 24 Village Bootery 39
5340 Donald Ross Rd., Suite 110, Palm Beach Gardens (In Alton Town Center right next to Petsmart) www.bergmanjewelers.net Open Monday to Friday 10AM-6PM • Open Saturday 11AM-3PM 561-627-0900 We offer a large selection of ne Jewelry, Watch Repair, Jewelry Repair, and Custom Designs. Specializing in larger, G.I.A.-Certi ed Diamonds, as well as a Huge Selection of Lab-Grown Diamonds. How Much Is My Jewelry Worth? Come in for a FREE Evaluation! BUYING FINE WATCHES ROLEX and Other Fine Swiss Watches! Diamond Studs Tennis Necklace Diamond Oval Diamond Eternity Band BEST PRICES ON LAB-GROWN DIAMONDS Your Best Source for Pre-Owned Rolex! BERGMAN JEWELERS FULL ROLEX SERVICE AVAILABLE Bring in this ad & receive 30% off ALL LAB-GROWN DIAMONDS Expires 2/28/23
VOL. 561 N 11 Copyrighted© My Living Media. 2023 All Rights reserved. To Advertise call 772-247-6849 Need More Coupons - MyLivingMedia.com Just Listed in the Sanctuary 561-933-6338 4 bedrooms 3 bath luxury home in beautiful “Sanctuary’’. So many renovation including new roof, new sprinkler system, new pool heater and pump, new upstairs air conditioning unit, new appliances, 2 ovens & 2 refrigerators. New closet organizing systems. In addition, all 3 bathrooms are updated and the entire interior and exterior of the home has been painted. ere is a new barbecue entertainment center and a new backyard patio paver system. is home is truly spectacular!! MLS#R10857998 $1,350,000 Call Je rey Ginsburg for a Private Showing If you are looking to sell your beautiful property, a FREE Consultation is the best time you can invest in. 40 Years Experience FAMILY OWNED & OPERATED • SCHEDULE ONLINE TODAY AT: WWW.STANLEYSTEEMER.COM FIRE, WATER, & MOLD DAMAGE RESTORATION SERVICE Immediate Response 24-HOUR EMERGENCY Minimum charges apply. Cannot combined with other offers. Residential and Commercial. Must present this MLM Coupon at time of service. Valid at participating locations only. Certain restrictions may apply. Call for details. Lic. #CMC014066 561-404-5668 WWW.STANLEYSTEEMER.COM STANLEY STEEMER SERVICES ® FREE ESTIMATES FOR ALL COMMERCIAL BUSINESSES WE PRETREAT YOUR FLOORS AND MOVE YOUR FURNITURE AT NO CHARGE WE PRETREAT YOUR FLOORS AND MOVE YOUR FURNITURE AT NO CHARGE $99 $129 Expires 3/15/23 MLM Expires 3/15/23 MLM TILE & GROUT OR WOOD FLOOR CLEANING Only PER ROOM 3 ROOMS CARPET CLEANING Wool carpets extra. Area rugs not included in wall-towall cleaning. *Any Room Up to 300 sq. ft. Home & Of ce Air Puri er Removes Viruses, Bacteria, Mold, & Pollen MARBLE & STONE CLEANING $50 OFF Expires 3/15/23 With MLM Coupon Proud to be Endorsed by Cystic Fibrosis Foundation $160 Expires 3/15/23 MLM HOME Which Air Are You Breathing? AIR DUCT CLEANING Up To 8 Vents BEFORE AFTER OFFICE FREE ESTIMATES CALL TODAY COMMERCIAL & RESIDENTAL
12 VOL. 561 N Copyrighted© My Living Media. 2023 All Rights reserved. To Advertise call 772-247-6849 Need More Coupons - MyLivingMedia.com Motorized Roll-Up Screens for Garages, Patios, or Lanais YOUR LOCAL SCREEN & AWNING DEALER. RATED #1 IN SERVICE 561-349-6788 FlaScreens.com Serving Port St Lucie to Boca Raton • Visit Our Showroom at: 2885 Jupiter Park Dr. • Suite 1900A • Jupiter, FL 33458 • Power Screens • Retractable Awnings • Nano Bugmesh • Solar Fabrics • FREE In-House Estimates ENTERTAIN OUTDOORS YEAR ROUND! Let The Fresh AIR IN, Keep the BUGS OUT. Lic.# U-20970 561.468.8230 THE PATIENT AND ANY OTHER PERSON RESPONSIBLE FOR PAYMENT HAS A RIGHT TO REFUSE TO PAY, CANCEL PAYMENT, OR BE REIMBURSED FOR PAYMENT FOR ANY OTHER SERVICE, EXAMINATION, OR TREATMENT THAT IS PERFORMED AS A RESULT OF AND WITHIN 72 HOURS OF RESPONDING TO THE ADVERTISEMENT FOR THE FREE, DISCOUNTED FEE, OR REDUCED FEE SERVICE, EXAMINATION, OR TREATMENT. SCAN FOR WEBSITE & SERVICES We accept most major insurance plans & Medicare 4601 Military Trail #202, Jupiter HOURS MONDAY-FRIDAY 8:30AM-5:00PM FOOT, ANKLE, OR VEIN ISSUES? WE CAN HELP! Rel … DR. ORLANDO CEDENO DPM Podiatrist Foot & Ankle Surgeon Located in Jupiter, FL $100 OFF SCLERO VEIN THERAPY With this MLM coupon. Expires 3/5/23 • Foot Ankle Surgery • Bunion Surgery • Cysts & Warts • Fractures & Breaks • Ankle Arthritis • Diabetic Foot Conditions • Minimally Invasive Foot Surgery • Hammer Toe • Ingrown Toe Nails • Varicose Veins Treatment • Neuropathy Solutions • Wound Care • Nerve Decompression in Foot BEFORE AFTER Bunionectomy® & Hammer Digit Minimal Pain…Minimal Incisions…Impressive Results
VOL. 561 N 13 Copyrighted© My Living Media. 2023 All Rights reserved. To Advertise call 772-247-6849 Trust our customers 4.7 Stars on Google Starting At JustInstalled$995 Save Up To$600 Beautifully Custom Designed • Closets, Garage & Pantry • Home & Commercial O ces LIMITED TIME OFFER Minimum Order of $6,000. Coupon must be presented at time of estimate. Cannot be combined with any other o ers or discounts. Must be placed before 3/31/2023. OFF Lic. #CGC1525776 We Help Organize Your Space 561-485-1998 3 Easy Steps to the Storage Solution of your Dreams! • CLOSETS • HOME OFFICES • GARAGES • ENTERTAINMENT CENTERS • COMMERCIAL SPACES ALL CUSTOM: FREE Consultation • 3D Design • Installation MYJLCLOSET.COM 160 NW 16th St., Boca Raton BocaMadeInRaton SCHEDULE YOUR FREE CONSULTATION
14 VOL. 561 N Copyrighted© My Living Media. 2023 All Rights reserved. To Advertise call 772-247-6849 Need More Coupons - MyLivingMedia.com …not your typical pawn shop! FREE 30% Off 561-575-5656 20% Off FREE Cleaning & Evaluation 360 W Indiantown Rd | JUPITER Certified Diamond Rings & Jewelry UP TO Cleaning Cloth with purchase of any jewelry over $300 Designer Handbags *Most Jewelry Pieces. Expires 3/5/23 Expires 3/5/23 *Exclusions May Apply. Expires 3/5/23 Expires 3/5/23
2560 RCA Blvd. Suite 101 • PBG • 33410 • www.pbgdentist.com The patient and any other person responsible for payment have the right to refuse to pay, cancel payment, or be reimbursed for any other services, examination, or treatment which is performed as a result of and within 72 hours of responding to the advertisement for the free service, examination, or treatment. Samuel J. Holcroft D.M.D., P.A. SERVICES INCLUDE Samuel J. Holcroft Family & Cosmetic Dentistry Please Mention Code OMS for discounted prices when booking. WHAT SETS US APART • 0% Financing Thru Care Credit. O.A.C. • Most Dental Insurance Plans Accepted • Adults & Children • Nitrous Oxide Gas & Oral Sedation if Desired • Partials & Dentures • Root Canals • Grinding Guards • Extractions • Digital X-Rays • Routine & Deep Cleanings • Tooth-Colored Fillings & Bondings • Crowns & Veneers • Implants & ImplantSupported Bridges A $400 VALUE. FOR NEW PATIENTS ONLY. May not be used with any other coupon. For best results should be used within 3 months of last cleaning. Expires 2/28/23 EMERGENCY PATIENT SPECIAL TOOTHACHE? $50 With this MLM coupon. Please mention this ad when calling for appointment. Cannot be combined with any other offer. Expires 2/28/23 Including X-Ray (D0220) and Exam (D0140) $200 TEETH WHITENING NEW PATIENT SPECIAL $79 With this MLM coupon. Please mention this ad when calling for appointment. Cannot be combined with any other offer. Expires 2/28/23 Including FMX (DO210), EXAM (D0150) & CLEANING (D1110) Is your dentist open on Friday and Saturday? We are! NOW OPEN FRIDAYS & SATURDAYS! 561-622-5600 MENTION CODE SMILE TO BOOK YOUR APPOINTMENT
16 VOL. 561 N Copyrighted© My Living Media. 2023 All Rights reserved. To Advertise call 772-247-6849 Need More Coupons - MyLivingMedia.com Buy a PLATINUM YACHT WASH and RECEIVE a PLATINUM YACHT WASH for Free ($35 Value) Sign Up with any Membership SAILBOAT OR HIGHER & RECEIVE 2ND CAR AT NO CHARGE FOR FIRST 3 MONTHS OR 1/2 OFF 1ST CAR FOR FIRST 3 MONTHS. 11370 US-1 NORTH PALM BEACH 5616009281 Come Visit Our Newly Remodeled Store & Indoor Customer Waiting Area AC, TV, ATM, Cold Beverages & Snacks WE ALSO SPECIALIZE The New Pelican Car Wash $25 OFF FREE NEW OWNERS! NEW EQUIPMENT /pelican_car_wash /PelicanAutoWash ALL Prices Subject to change. Prices Will Vary Due to Size & Condition of Your Vehicle PLATINUM YACHT WASH MEMBERSHIP SPECIAL UNLIMITED MEMBERSHIP ANY FULL SERVICE DETAIL Expires 3/17/23. Pelican Car Wash. Expires 3/17/23. Pelican Car Wash. Expires 3/17/23. Pelican Car Wash. Men’s Day Every Tuesday Women’s Day Every Wednesday Regular Starting at $150 Prices Will Vary Due to Size & Condition of Your Vehicle GOOD is a haircut you love. GREAT is a sweet price too. $ 999 OFFER EXPIRES: 10/31/22 ANY HAIRCUT Not valid with any other offers. Limit one coupon per customer. No copies. Taxes may apply. Valid at Frenchman’s Crossing, Donald Ross Village & Plaza at Lake Park. Masks may be required. LAKE PARK Plaza at Lake Park 1244 Northlake Blvd • 561-515-5410 PALM BEACH GARDENS Donald Ross Village 4650 Donald Ross Rd (Central Blvd & Donald Ross Rd) 561-624-7372 Frenchman’s Crossing 4073 Hood Rd (Next to Publix) • 561-768-7767 greatclips.com | jobs.greatclips.com | greatclipsfranchise.com 41309-001-Norman-Donald Ross Village-Frenchman's Crossing-Plaza at Lake Park-6.25 x 4.5325.indd 1 5/31/22 12:59 PM OFFER EXPIRES: 3/15/23
The Salt, Sand, & Sea Classic & Timeless Furniture, Unique Coastal Lighting, Accessories, & Rugs Located in the YumYum Plaza 815 S. US Hwy. 1 Jupiter FL summerhousefurniture.com Mon.-Sat. 10am-6pm | Sun. 12:30pm-5pm HOME FURNISHINGS INSPIRED BY 561-781-3696
18 VOL. 561 N Copyrighted© My Living Media. 2023 All Rights reserved. To Advertise call 772-247-6849 Need More Coupons - MyLivingMedia.com Best Selection of Lampshades in Florida! ANY SHADE IN THE STORE Expiration 3/15/23 $10 OFF $39.00 and Up 772.221.0222 Cedar Pointe Plaza 2461 SE Ocean Blvd. Stuart, FL 34996 Custom-Made Lamps & Shades ... Bring Your Lamp for a Proper Fit! • Residential • Commercial • Marine WINDOW TINTING NO AUTOMOBILES off $30 Any order over $100 Exp. 3/17/23 Over 40 Years of Experience www.mrtintofamerica.com BEFORE AFTER YOUR NEXT PRODUCT PURCHASE EXCLUDING FOOD & GROOMING Natural Pet Food • Boutique • Grooming Catering to Your Pet’s Health! 155 Toney Penna Drive, Suite 6, Jupiter, FL 33458 1/2 mile South of Indiantown Road, between Alternate A1A & Military Trail Largest selection of natural, holistic & raw pet food including raw meaty bones, chicken necks & tripe. 561.748.PAWS 7297 info@healthepetsmarket.com WWW.HEALTHEPETSMARKET.COM Must present coupon at time of service. Not valid with any other o er. Expires 3/5/23 Certi ed NutritionPet Specialist Healthy options for cats and dogs include supplements and vitamins, plus all of your pet’s favorite treats. 10% o Toys • Bones • Bedding • Leashes • Collars • Grooming Supplies and more. (Mon.-Sat.) • 8:30am - 7:00pm (Sunday) • 11:00am - 4:00pm
Copyrighted© My Living Media. 2023 All Rights reserved. To Advertise call 772-247-6849 Garages Patios Pool Decks Driveways & Much MORE! SCAN ME GET STARTED TODAY! Offer Valid for Same-Day Service Only FREE IN-HOME ESTIMATE 30% OFF WE TAKE THE BORING OUT OF YOUR FLOORING!TM 10X STRONGER BOND THAN EPOXY YOUR BEAUTIFUL NEW FLOORING IS JUST A CALL AWAY! 772-277-7562 • 561-277-0375 OXFLOORS.COM WITH THIS MLM COUPON. OFFER EXPIRES 3/15/23 PLUS
20 VOL. 561 N Copyrighted© My Living Media. 2023 All Rights reserved. To Advertise call 772-247-6849 Need More Coupons - MyLivingMedia.com 1-833-ACE-CART(223-2278) Aceofcarts.com Ace of Carts 4880 SE Federal Hwy., Stuart • 2nd Location 552 US Hwy. 1 North, Tequesta Must be a 2022 Model Year Club Car from dealer stock. Offer Valid through February 28, 2023 or while supplies last. Financing is available with standard rates. Not eligible for 0% Financing promotion; offers do not combine. Promo code:MLM822 Over 200 Brand New Club Cars in stock! $1,000 in FREE Accessories, FREE Delivery Destination, & Setup Charges. REGISTER ONLINE TO GET https://aceofcarts.com/red-tag/ • SALES • SERVICE • PARTS Now Open in Tequesta! AUTHORIZED DEALER CARTS IN STOCK & READY FOR DELIVERY EXPERT FULL SERVICE JEWELRY REPAIR JEWELRY 75 E. INDIANTOWN RD #504 • JUPITER WE BUY GOLD 561.406.2074 20% OFF 50% OFF 50% OFF Any Watch or Jewelry Repair Watch Battery New Diamond & Gemstone Jewelry *Exclusions may apply With this MLM coupon. Expires 3/5/23 With this MLM coupon. Expires 3/5/23 With this MLM coupon. Expires 3/5/23 NOW HIRING CALL TODAY! Experienced Electricians $50 OFF ANY JOB OVER $500 Cannot be combined with other discounts or offers. With this MLM coupon. Expires 3/17/23 Need An Electrician? FREE ESTIMATES Lic # EC13007910
VOL. 561 N 21 Copyrighted© My Living Media. 2023 All Rights reserved. To Advertise call 772-247-6849 Need More Coupons - MyLivingMedia.com *Max Guard is not responsible for delays outside of its reasonable control, including but not limited to HOA and permitting approval or manufacturing delays. MAX GUARD provides impact-rated products, engineering, and installation services by CONVERTING your “existing” screened (or open) patio to an enclosed livable room by installing hurricane-rated windows and doors. (Our converted patio enclosures require that customer’s existing patio has a roof and a oor/slab.) SCAN TO SCHEDULE YOUR APPOINTMENT ENJOY YOUR ENCLOSURE 24/7, 365 DAYS A YEAR YOU CAN’T AFFORD HURRICANE WINDOWS? THINK AGAIN! $169 AS LOW AS PER MONTH New orders only. Minimum purchase required. O er not valid with any other o er, or previous job. Contractor is neither a broker or lender. Financing is provided by third party lenders una liated with Contractor, under terms and conditions arranged directly between the customer and such lender, all subject to credit requirements and satisfactory completion of all documents. Any nance terms advertised are estimates only. Some restrictions apply. 30% Federal Tax Credit ON ENERGY EFFICIENT WINDOWS & DOORS *Up to $1,000. Call for details. www.myhurricanewindow.com with amazing PACE Financing Available Vinyl Energy Efficient HURRICANE WINDOWS 561-566-7230 • 772-758-7360 CALL NOW & WE’LL MATCH YOUR TAX CREDIT INTEREST-FREE FINANCING for 24 MONTHS! **ZERØØ! Until 2025! Ø Interest Ø Payments Licensed & Insured SCC131151738
www.myhurricanewindow.com 24 MONTHS PER MONTH WHOLE HOUSE OF WINDOWS & DOORS Starting at 0% $169 Current Reviews 4.9 or
Licensed & Insured SCC131151738 561-566-5629 772-932-5629 New orders only. Minimum purchase required. O er not valid with any other o er, or previous job. Contractor is neither a broker or lender. Financing is provided by third party lenders una liated with Contractor, under terms and conditions arranged directly between the customer and such lender, all subject to credit requirements and satisfactory completion of all documents. Any nance terms advertised are estimates only. Some restrictions apply. Scan to schedule your APPOINTMENT! HURRICANE WINDOWS AND DOORS
12174 US1  NORTH PALM BEACH 5615566022 MONFRI 8AM6PM  SAT 8AM5PM  SUN 10AM3PM ANY PURCHASE OF $25 OR MORE ANY PURCHASE OF $50 OR MORE With this MLM coupon. Expires 3/17/23 With this MLM coupon. Expires 3/17/23 FRESH DAILY LOCAL $5 OFF $10 OFF NOW BEFORE
VOL. 561 N 25 Copyrighted© My Living Media. 2023 All Rights reserved. To Advertise call 772-247-6849 Need More Coupons - MyLivingMedia.com OPENING HOURS Monday-Thursday 11:00AM-10:00PM Friday-Saturday 11:00AM-Midnight Sunday 11:00AM-10:00PM 1209 Main Street Suite 101 • Jupiter, FL 33458 561-360-3378 $500 OFF $25 Purchase With this MLM coupon. Cannot be combined with other offers. Expires 3/12/23 50% OFF Buy 1 Entrée at Regular Price Get The Second at Valid for Dinner only - With this MLM coupon. Cannot be combined with other offers. One coupon per table. Expires 3/12/23 (With the purchase of an adult entrée) *AT THE BAR ONLY Kids Under 12 Eat FREE & Tuesdays Thursday ALL DAY 12PM to 6PM “Authentic Cuban Cuisine Just Got A Little Closer To Home” Live Music every Wednesday thru Sunday!
26 VOL. 561 N Copyrighted© My Living Media. 2023 All Rights reserved. To Advertise call 772-247-6849 Need More Coupons - MyLivingMedia.com “The best restaurant I’ve ever been to, the food is amazing.” –Nina Charles 15% OFF ENTIRE MENU • Award-Winning Sweet-Heat Marinara • 1.5 Years in Business • Close to 700 reviews and 99% of them are ★★★★★ • Owners are (2) Italians and (1) Irishman from New York www.plantbasedma a.com 561-783-5131 7100 Fairway Drive, Suite 52 Palm Beach Gardens Sun - Thurs 11am to 9pm Fri - Sat 11am to 10pm Sat - Sun - Bangin Brunch 11am to 3pm Must present this coupon to your server. Not valid on tax or gratuity. Cannot be combined with other offers. One coupon per table per visit. Expires 2/28/23. SIMPLE • HEALTHY • FRESH! 1155 MAIN ST #112 JUPITER 561-557-3949 SCAN FOR MENU On Any Boba Teas FREE Buy 1 Tea, Get 1 Cannot be combined with any other coupons or offers. Expires 3/5/23 • Build Your Own Poke Bowl • Boba Teas • Japanese Desserts Located at Downtown Abacoa
VOL. 561 N 27 Copyrighted© My Living Media. 2023 All Rights reserved. To Advertise call 772-247-6849 Need More Coupons - MyLivingMedia.com 950 SE Indian St, Stuart (772) 888-1854 • MeroMeroCantina.com Kids Eat FREE on Sundays Everyday 3-6 (All Day Tuesdays & Sundays) HAPPY HOUR Offers are good for dine in only With the Purchase of Adult Entree LUNCH SPECIAL DINNER SPECIAL BIRRIA TACO Buy One, Get OneBuy One, Get One FREE FREE FREE (Of equal or lesser value) One coupon per visit. Cannot be combined with other SCAN HERE From our fresh seafood, grilled steaks and house-made pastas, our dishes are sure to satisfy. See for yourself and join us for lunch or dinner today! The Gardens Mall / 3101 / PGA Boulevard / Palm Beach Gardens 561.622.0491 THE PERFECT DINNER FROM ROMANTIC ITALY Call Today To Make A Reservation! To Go/Curbside/Delivery Available The Perfect Start to Any Meal FREE APPETIZER! Enjoy One FREE Appetizer with the Purchase of Two Entrees* Must purchase two entrees at full price to receive free appetizer. Dine in only. May not be combined with any other o ers or discounts. Present coupon to redeem o er. Dine In Only! Expires 3/5/23 Sun -Thurs: 11am - 9 pm Fri -Sat: 11 am -10 pm www.brioitalian.com JOIN US FOR OUR FAMOUS HAPPY HOUR MON-FRI 3PM - 6PM
28 VOL. 561 N Copyrighted© My Living Media. 2023 All Rights reserved. To Advertise call 772-247-6849 Need More Coupons - MyLivingMedia.com HAPPY HOUR 3-6 PM Daily WINE DOWN WEDNESDAY 50% OFF All Wines by the Glass & Bottle ALL DAY!! FREE Bottle of Wine with $50 Purchase $25 3-Course Menu $58-$60 Family Meals to Go (Temporary hours: 3-9 pm) INDOOR/OUTDOOR Social Distance Dining Available TAKEOUT • CURBSIDE PICKUP FREE DELIVERY (with $20 or more within 5 miles) ORDER ONLINE 561.444.3345 MONDAY & TUESDAY LARGE CHEESE PIZZA $10 Pick Up Only Cash Only With this MLM coupon. Not valid with any other offers. Expires 2/28/23 WEDNESDAY BUY 2-TOPPING PIZZA GET ONE LARGE CHEESE PIZZA  Pick Up Only & Delivery Only With this MLM coupon. Not valid with any other offers. Expires 2/28/23 FREE 12100 Hwy., US-1 Ste A • North Palm Beach www.TiramisuPizzeria.com • Like & Follow Us! Authentic Scratch-Made Pierogies from Our Family to Yours! Nationwide shipping, local dine in, takeout & delivery. (561) 720-2498 • 813 Donald Ross Rd, Juno Beach $5 Off Order Here Scan for Menu When you spend $20 or more! With this MLM coupon. Expires 3/5/23 THAI WEST LUNCH  DINNER  SMOOTHIES  ICE CREAM  COFFEE  BAKERY Now Open in Jupiter Farms! SCAN FOR MENU 9260 W. INDIANTOWN RD. #B4 • JUPITER (SIERRA SQUARE PLAZA) 561-842-9378 NOW SERVING BOBA TEA AUTHENTIC THAI FOOD $5 OFF *$40 or more CASH ONLY Expires 3/5/23
VOL. 561 N 29 Copyrighted© My Living Media. 2023 All Rights reserved. To Advertise call 772-247-6849 Need More Coupons - MyLivingMedia.com JUPITER, FL THREE PALMS CENTER Suite Rental Chair Rental Stylist Commission (561)748-3334 ULTIMATE HAIR SALON

Wetypically associate tacos with Mexican cuisine, but we don’t have to… at least, not with Taco Shack now in town!

Taco Shack has been a popular spot in Downtown Stuart for 10+ years, with many locals citing it as their all-time favorite place to go for one-of-a-kind, handcrafted tacos and cuisine. Abby and I, in fact, have been to the Stuart thow the new Jupiter location stands up to its predecessor!

For a comprehensive sampling of Taco Shack’s dips, you have to order the three amigos appetizer (sm. $12; lg. $17). A pile of homemade, endless “famous shack chips” comes with generous bowls of salsa, guacamole, and queso. The chips themselves are quite tasty, with a delightfully audible crunch, and once you start experimenting with the dips, not to mention the many hot and pepper sauces available on your table, the chips become absolutely addicting!

The queso was my absolute favorite of the three dips, as it was thick, rich, creamy, and, of course, cheesy. It had a very subtle heat, so it’s a crowdpleasing option, especially amongst kids. For spice lovers, the salsa offered much more of a kick, and one that lingered, at that. This satisfying spark

FULL BAR & GRILL LIVE MUSIC!

rst “wows” your palate, then slowly fades into an ever-so-slight sweetness that leaves you wanting to go back for more. Those looking for lighter, brighter avors will appreciate the freshness of the guacamole. The plentiful chunks of avocado were perfectly ripe, and tasted even better once we squeezed more of the limes on the side over them. This dip is great for a hot day, especially if you’re eating on Taco Shack’s large outdoor patio, as one bite will cool you down instantly.

For the main event, Abby took advantage of the restaurant’s awesome taco deal, which allowed her to choose 2 gourmet tacos and a side ($14). Her gringo beef taco came loaded with tender ground beef, shredded cheddar cheese, fresh pico de gallo, cabbage, and cilantro. It was nished with a “delightful” lime crema, which Abby said “elevates it from being just a standard, boring beef taco. It adds a nice little zing!” In fact, she even squeezed more lime over the taco because she liked the taste so much.

“The Sticky” taco offered a totally different avor pro le, one “reminiscent of American comfort food culture,” commented Abby. Crafted using homemade, lightly-fried chicken tenders, the taco is also stuffed with rich gouda cheese, mild green onions, and candied jalapenos, then nished with a honey jalapeno drizzle and a wedge of lime. “It’s almost like a

1155 Main Street Jupiter 561-508-3789

chicken and waf es dish,” Abby said, “but in taco form!”

For vegetarians, I recommend the chipotle cauli owerstuffed avocado ($8.95), which is fresh and lling. Two halves of a vibrantly green avocado are served over shredded lettuce, then topped with buttermilk-fried cauli ower orets, sweet raisins, tangy queso fresco, a sultry chipotle crema, fresh cilantro, and “smoked special seasonings.” I was especially impressed by the non-greasy, crunchy cauli ower, which brought every ingredient together on the plate. Once you get a full bite with a little bit of everything, you experience a bright, sunny burst of sweet, slightly spicy, and herbaceous avors.

I also ordered some items à la carte for Abby and me to share: two gourmet tacos —the Thai basil shrimp ($7) and Da Philly ($5.75) — and a Mexican street taco with birria ($3.50).

I cannot recommend the Thai basil shrimp taco enough… it’s a tasty fusion of Asian and Mexican avors that is, ultimately, super fun to eat! The perfectly rm shrimp is smothered in Thai peanut and sweet chili sauces, then topped with fresh basil, chopped peanuts, cabbage, cilantro, and lime. This taco offers a really lovely, crunchy texture, as well as a delectable combination of sweet, salty, and nutty avors. If you enjoy shrimp, then this one is de nitely for you!

More of a meat eater? Try Da Philly, which is the favorite taco of Lou Lentine, the owner of Taco Shack. This juicy

with Gabby & Abby

marinated steak taco is lled with bell peppers, onions, American cheese, lettuce, and hot chili peppers for a twist on the Philadelphia classic. Or, if you want something with more straightforward avors, then select the birria Mexican street taco. The double tortillas are satisfyingly crispy, and the über tender shredded beef within brilliantly shines on its own, with a luscious umami avor. This taco looks simple, but it’s anything but… it’s a must order item.

Taco Shack’s new Jupiter location, Abby and I concluded, does the original Stuart restaurant justice. Their lighthearted, fun atmosphere remains intact (and is further enhanced with a full bar!), and their one-of-a-kind tacos and meals offer exciting combinations of cultures and avors. So, the next time you’re craving tacos, think outside the box and go beyond the status quo… visit Taco Shack in Jupiter!

Taco Shack is located in the downtown Abacoa area at 1155 Main Street in Jupiter.

The restaurant is open Sun. - Thurs. 11AM-9PM; Fri. - Sat. 11AM-10PM For more information or to place an order, call 561-508-3789 or visit taco-shack.com

GRILL $20 Purchase or More $5 Off LUNCH Join our Loyalty Program for current and future discount offers. Earn discounts on every dollar spent! With this MLM Coupon. Cannot be combined with other offers. Expires 3/31/23 LUNCH 11am - 3pm $50 Purchase or More $10 Off DINNER Join our Loyalty Program for current and future discount offers. Earn discounts on every dollar spent! With this MLM Coupon. Cannot be combined with other offers. Expires 3/31/23 DINNER 4pm - 10pm
32 VOL. 561 N Copyrighted© My Living Media. 2023 All Rights reserved. To Advertise call 772-247-6849 Need More Coupons - MyLivingMedia.com Fences • Gates • Railings • Wood • Chain Link • PVC • Aluminum ALLIED ALUMINUM & RAILING (Minimum of 100 ft) With this MLM coupon. Expires 2/28/23 $100 Off Keep What You Love Safe! Licensed & Insured License #U-17525 94-7491-FX MC1800195 CALL TODAY FOR YOUR FREE ESTIMATES! 561.232.2757 www.alliedaluminum.us Located at: 651 W. Indiantown Rd., Jupiter • 561-746-2345 FREE Cleaning 50% Off Any Watch Battery MLM Coupon expires 3/5/23 MLM Coupon expires 3/5/23 MLM Coupon expires 3/5/23 20% Off Any Repair

Every 5,000 miles, like clockwork, you take your car to get its oil changed and tires rotated. It’s basic, routine maintenance, but that consistent attention and upkeep is vital for your vehicle to run e ciently, especially over a number of years. Your body, much like your vehicle, requires regular care and treatment to keep it healthy. And, again like your automobile, your body needs support from someone other than yourself, a professional who can guide it to achieving its utmost abilities and to retaining its peak performance.

Getting older, playing sports, or having a condition like sciatica or arthritis shouldn’t hold you back from living your life! You can feel like your younger self again, the one who didn’t feel any aches or pains when walking, running, jumping, or even sitting… all you have to do is visit Stretch Zone.

Drew Brees, former quarterback of the New Orleans Saints, is the newest partner at Stretch Zone who advocates for people to regularly get stretched. A er personally going to Stretch Zone for an assisted stretching session, Drew was impressed with the uniquely e ective and nationally accredited Stretch Zone Method®, which is administered by a highly-trained and Stretch Zone-certi ed stretch practitioner.

Here’s How It Works:

1.) Your rst session begins with lling out an intake form and having a consultation with your experienced and knowledgeable stretch practitioner. Based on your medical background and your personal goals, the stretch practitioner will personalize the ensuing 30-minute assisted stretching session to meet your individual needs. On subsequent visits, you’ll simply do a check-in with the practitioner to update your medical pro le with any recent changes and/or any new pain or discomfort that you might be experiencing.

2.) e stretch practitioner initiates the rst steps of the approved Stretch Zone Method®, utilizing Stretch Zone’s special patented

straps to encourage your body to relax and ease into the stretches. You won’t nd these straps anywhere else! Comparable to a thunder jacket for your pets, they are meant to calm your mind so that your entire body is perfectly loose, thus allowing the stretch practitioner to stretch your body to its full potential and, as a result, provide you with both preventative maintenance and pain relief.

3.) Assisted stretching (a/k/a passive stretching) is di erent from physical therapy in that your body is being stretched by someone else, you’re not actually doing any work. roughout your 30-minute session, the stretch practitioner will be steadily interacting one-on-one with you, ensuring that you are completely comfortable and not experiencing any pain. Ultimately, you are in control of the stretch, even as your practitioner guides your body through each and every step, because you tell the practitioner when you feel your best stretching position. e more you communicate, the better results you’re going to get!

Take advantage of Stretch Zone’s incredible New Year Special: get one FREE 30-minute stretching session! Anybody and everybody can and should be stretched. In fact, one Stretch Practitioner I spoke with at Stretch Zone says, “98% of the people I see in front of me really need to be stretched. is is something you should not live without.” Remember, it’s just like getting your oil changed! Plus, celebrities and professional athletes have been getting stretched for years, so it’s time for the general population to be clued into the secret!

Get Stretch Zone’s New Year Special for yourself or get them for a friend or loved one… what better way to say you care than to give the gi of making life easier, of feeling healthier, lighter, and younger, and of feeling like yourself again?

VOL. 561 N 33 Copyrighted© My Living Media. 2023 All Rights reserved. To Advertise call 772-247-6849 Need More Coupons - MyLivingMedia.com
A NEW YEAR IS HERE.
START THE NEW YEAR OFF RIGHT! IT’S TIME TO FOCUS ON YOU. DISCOVER WHAT STRETCH ZONE CAN DO FOR YOU! JUPITER 6390 W Indiantown Road, Suite 4, Jupiter, FL 33458 561-529-2272 In the Chasewood Plaza PGA EAST 11940 US Hwy 1, Unit 145 Palm Beach Gardens, FL 33458 561-644-2970 In the Seminole Shoppes PGA WEST 6271 PGA Blvd., #209, Unit 145 Palm Beach Gardens, FL 33410 561-619-6029 In the Mirasol Plaza What’s on your resolutions list? Do you want to: ✓ 3 HAVE MORE ENERGY TO DO ALL OF THE THINGS YOU LOVE? ✓ IMPROVE YOUR GOLF GAME, TENNIS SKILLS OR OTHER SPORTS PERFORMANCE? ✓ MANAGE TENSION AND STRESS MORE EFFECTIVELY? ✓ EASE FRUSTRATING MUSCLE ACHES AND PAINS? ✓ INCREASE YOUR OVERALL HEALTH AND WELLNESS? IMPROVE FITNESS AND YOUR OVERALL WELL-BEING. GET YOUR FREE STRETCH BOOK YOUR TODAY! FREE STRETCH
34 VOL. 561 N Copyrighted© My Living Media. 2023 All Rights reserved. To Advertise call 772-247-6849 Need More Coupons - MyLivingMedia.com CUSTOM CLOSETS AND SHOWERS DOORS Licenced Contractor #MCN56662 #SCC131152195 561-810-1305 | www.coastalclosetsandshowers.com Visit our factory showroom at 4483 SE Commerce Ave, Stuart, FL 34997 She will be speechless! Up to $300 off your new Custom Closet* Lifetime Warranty & FREE Glass Protection on your Custom Glass Shower *purchase of $2500 or more necessary. closet | office garage | wall bed wall units shower doors glass wine rooms store front glass Offers valid until March 17th, 2023. Coupon must be presented at time of consultation.
36 VOL. 561 N Copyrighted© My Living Media. 2023 All Rights reserved. To Advertise call 772-247-6849 Need More Coupons - MyLivingMedia.com Cosmetic & Family Dentistry NEW YEAR NEW BENEFITS • Emergency Care • Walk Ins Welcome ACCEPTING NEW PATIENTS • Family Dentistry • Cosmetic Dentistry PORT ST. LUCIE Hablamos Español JUPITER Dentistry By Design 3889 Military Trail, Ste.102 Jupiter, FL 33458 www.dbdfl.com Tel: 561-861-2611 GREENACRES Most Dental Insurance Plans Accepted NEED SHUTTERS THIS WEEK? Family Owned & Locally-Manufactured Plantation Shutters • ANGLES & RAKES • ARCHES & SUNBURSTS • OTAGON, CIRCLE, HEXAGON • SILL COVERS & CAPS HORIZONTAL ARCH PLANTATION SHUTTERS SUNBURST PLANTATION SHUTTERS www.plantationshutters a.com Treasure Coast Palm Beach 772-600-4253 or 561-420-0418 Visit our manufacturing shop at: 406 Farmers Market Rd Ft Pierce, FL 34982 IN-HOME ESTIMATES FREE $1695 SQ. FT. INSTALLED Starting at Plantation Shutters Florida™ Your Plantation Shutter Specialist Plantation Shutters Florida™ We are the Real Manufacturer Licensed & Insured CALL TODAY AND GET UP TO 10% DISCOUNT Restrictions may apply.
38 VOL. 561 N Copyrighted© My Living Media. 2023 All Rights reserved. To Advertise call 772-247-6849 Need More Coupons - MyLivingMedia.com PRIMEGOLFCARS.COM SALES • RENTALS • REPAIRS HUNDREDS OF ELECTRIC LITHIUM & GAS GOLF CARTS AVAILABLE • New & Used Carts • Lithium Battery • Rims, Tires, & Lift Kits • 2, 4, 6, & 8 Passenger Seat Carts • American EV Golf Carts • Bintelli Golf Carts • E-Z-GO Golf Carts • Evolution Golf Carts • Elite EV Golf Carts • Club Car Golf Carts • Kodiak Golf Carts • Yamaha Golf Carts • Roadster Golf Carts 561-601-5671 7100 N MILITARY TRL., FL• RIVIERA BEACH VISIT OUR OTHER LOCATIONS IN LANTANA, FT. LAUDERDALE & MIAMI SCAN TO SEE OUR INVENTORY FINANCING AVAILABLE Vero Beach 1669 Old Dixie Hwy 32960 561.331.LINT (5468) thelintmandryerventcleaning.com ✔ Dryer Vent Cleaning ✔ Dryer and Washer Installation ✔ Residential Services ✔ Commercial Services ✔ Rodent Guard Installation DRYER VENT CLEANING WHEN WAS YOUR DRYER VENT LAST CLEANED? • Speeds Up Drying Time • Reduces Fire Risk • Lowers Utility Costs (more ef cient) • Don’t Wait Until It’s Too Late With over 15,000 dryer res happening each year, IT MAKES SENSE! Any Dryer Vent Cleaning Service Licensed & Insured Neighbors Discount Special *Washer & Dryer Repair Service *Some restrictions may apply. With this MLM coupon. Must present coupon at time of service. Expires 3/31/23 $30Off Veteran and Military Family Owned and Operated Residential Commercial Estate Cleanouts Appliances Labor Services Recycling 844-GET-JDog 561-292-0647 PROFESSIONAL FULL SERVICE JUNK REMOVAL 10% OFF 1 st Time Customers Must present MLM coupon for discount. Exp 3/16/23 SAVE UP TO $ 6 7 !
VOL. 561 N 39 Copyrighted© My Living Media. 2023 All Rights reserved. To Advertise call 772-247-6849 Need More Coupons - MyLivingMedia.com METAL ROOFS just got MORE AFFORDABLE! • METAL ROOFING • TILE ROOFING • SHINGLE ROOFING Financing Available Satisfaction Guaranteed! Call Today (772) 291-1427 Lic. No. CCC1327906 FREE ESTIMATES $500 OFF Call Today! ANY ROOF REPLACEMENT Must present coupon at time of estimate for discount. Exp. 3/15/23 VILLAGE BOOTERY SHOE STORES 245 U.S. Highway One • Tequesta 561.746.3536 2641 S.E. Ocean Blvd. • Stuart 772.283.3833 $10 OFF Your next Village Bootery purchase Expires 3/5/23. Discount not available on sales merchandise. • Lawn Grass • Batting Cages • Bocce Courts • HOA Playgrounds • Putting Greens • Pet Grass • Pool Areas • Paver Strips With a combined experience of 60+ years, Complete Synthetic Turf is the trusted choice for artificial grass installation on The Treasure Coast! Complete synthetic Turf has the look and feel of natural grass. Always picture perfect! 7715 SW Ellipse Way, Stuart 772.494-2481 We look forward to exceeding your expectations in everything we do! FREE CONSULTATION FREE DESIGN FREE ESTIMATE With this MLM coupon. Expires 3/17/23 100% Satisfaction Guaranteed! Like Us On Facebook

CONNECT TO YOUR COMMUNITY

WITH MY LIVING MEDIA

Florida’s #1-direct mail and multimedia marketing company, My Living Media offers the best opportunities for business owners to connect with their communities!

For 46 years, My Living Media’s premier Living Magazines have been a trusted publication for hundreds of thousands of loyal readers across Southeastern Florida to find everything from local home improvement and medical services to neighborhood restaurants and real estate opportunities. As a result, My Living Media is the go-to resource for both Treasure Coast and Palm Beach County residents to shop local… and save money!

Every two weeks, My Living Media direct mails 99+ unique, glossy-print magazines to affluent homeowners in highlytargeted communities within 5 counties: Martin, St. Lucie, Indian River, Okeechobee, and Palm Beach. We also offer select magazines on racks at popular public locations in Indian River and Okeechobee counties. In total, My Living Media reaches over 300,000 homes on the Treasure Coast and

in Palm Beach County bimonthly!

Of course, every business has a story. Why not tell yours? My Living Media’s leading editorial and advertorial opportunities within the Living Magazines allow you to attract even more people to your business as you separate yourself from the competition. Let your local communities know what makes you so special! Our advertisers already have extraordinary ROI… imagine how a well-written and beautifully-designed 2-page spread boosts that response. Better yet, call us! We’ll be happy to share our success stories with you.

In addition to the beloved Living Magazines , My Living Media designs, prints, and direct mails glossy postcards and insert flyers & menus. With these highquality print products, your business can target specific zip codes on the Treasure Coast and in Palm Beach County every two weeks. Reach the right clientele at exactly the right time!

My Living Media’s digital, social, and mobile marketing opportunities

are the perfect complement to your print advertising campaign. As a locallyowned and operated multimedia marketing company, My Living Media prides itself on providing our advertisers with comprehensive, competitively-priced solutions to connect with their communities. To deliver this value, My Living Media offers free digital, mobile, and social media marketing posts and pages for each and every one of our direct mail clients to reach countless South Florida residents beyond our circulation areas. We love small, local, and familyowned businesses… your success is our passion!

GROW YOUR BUSINESS? 100+ UNIQUE COMMUNITY MAGAZINES DIRECT MAIL High-quality printed post cards & inserts allow you to target speci c zip codes every two weeks FREE digital, mobile, & social media marketing for every one of our direct mail clients 772-247-6849 Mailing Martin, St. Lucie, Indian River, Okeechobee, & Palm Beach Counties my LIVING MEDIA ON THE WEB We are Florida’s Premier Direct Mail & Multimedia Marketing Company 24¢ POSTCARDS Some Restrictions Apply. Please call for details. PER HOME * Designed, Printed, & Mailed for…
42 VOL. 561 N Copyrighted© My Living Media. 2023 All Rights reserved. To Advertise call 772-247-6849 Need More Coupons - MyLivingMedia.com Seaglass Window Fashions • Zebra Shades • Woven Wood Shades • Honeycomb Shades • Sheer Shades • Wood Plantation Shutters 561-932-3712 PBG, Jupiter, Palm City, Stuart, Port St. Lucie Plantation Shutters White Poly Vinyl SOLAR SHADES Manual or Motorized available White & Stained 561-462-8338 Driveway Cleaning with FREE PRESSURE CLEANING Commercial & Residential Roofs Driveways Screen Enclosures Porch & Patio Rust Removal Gutters Driveways & Roof Sealing • New ���������� • Ren��������i��n�� • Rem��������in�� • Rep�������� • Res��������ci���� Your Backyard Oasis Awaits… New Pool Construction 561-782-4644 Camco Pools New Construction & Renovations $1500 off With this MLM coupon. Expires 3/3/23 EMERGENCY SERVICE-ANY DAY, ANY HOUR Licensed & Insured CFC1427336 • Sinks • Toilets • Water Heaters • Leak Detection • Showers • Bathtubs $30 OFF ANY SERVICE 561.533.7070 PlumbRitePlumber.net Service Interruption? 24-Hour Plumbing Repair Fast | Reliable | Trusted | Guaranteed Sewer & Drain Cleaning All Clogged Lines Corrected With this MLM coupon.
VOL. 561 N 43 Copyrighted© My Living Media. 2023 All Rights reserved. To Advertise call 772-247-6849 Need More Coupons - MyLivingMedia.com 561-903-4811 1001 W. INDIANTOWN ROAD • STE. 106 JUPITER, FL 33458 www.Yourpremierdentist.com WELCOME TO PREMIER DENTISTRY We are available for your dental emergencies! Having a smile you’re proud to share shouldn’t be dif cult or break the bank. We know how important it is to have a smile that lets you feel and look good, which is why our team strives to give you the dental care you deserve. Our dentists are committed to providing high-quality family, cosmetic, and advanced dentistry to each and every patient. PAYMENT PLANS FOR EVERYONE! Premier D entistry SMILE! YOU’RE IN GOOD HANDS TRUSTED & AFFORDABLE DENTAL CARE With this MLM coupon. Expires 3/5/23 New Patients Only $49 EMERGENCY EXAM With X-Rays With this MLM coupon. Limited time offer. New Patients Only WELCOMING HEALTHY MOUTH CLEANING $79 Exam & X-Rays With this MLM coupon. Expires 3/5/23 New Patients Only Complimentary Invisalign Consultation with $500OFF Treatment (full case) Premier D entistry SMILE! YOU’RE IN GOOD HANDS DR. CASEL
44 VOL. 561 N Copyrighted© My Living Media. 2023 All Rights reserved. To Advertise call 772-247-6849 Need More Coupons - MyLivingMedia.com Florida’s Largest Antiques Show SOUTH FLORIDA FAIRGROUNDS 9067 SOUTHERN BLVD. WEST PALM BEACH Free Parking - Great Food & Drinks - Inside & Outside Spaces Air Conditioned - Jewelry Repair - GIA Certi ed Appraisals Puchs2@yahoo.com • www.wpbaf.com Early Buyers Fri. 9 am to 12 pm $30 Ticket good for all 3 days. General Fri. 12 pm to 5 pm • Sat. 9 am to 5 pm Sun. 10 am to 4:00 pm • $12 Daily $ 1 00 OFF With this MLM coupon (One Per Person) 941-697-7475 Mar. 3rd - 4th - 5th Friday Sat Sunday OVER 600 DEALERS Make Your Shower & Floors Look New Again! • Tile & Grout Cleaning • Grout Restoration • Tile & Grout Repair • Loose & Hollow Tile Rebonding • Shower Repairs & Regrouting • Non-Slip Tile Treatment Call today for a FREE Estimate • 772-224-3011 or 1-800-561-3736 • www.GroutsmithStuart.com SEE THE DIFFERENCE WE CAN MAKE IN THE LOOK OF YOUR HOME! Your Grout & Tile Cleaning Experts $30OFF ANY JOB OF $300 OR MORE $50OFF ANY JOB OF $500 OR MORE With this MLM coupon only. Cannot be combined with any other offers or specials. Expires 3/17/23 No More Dirty Grout! Before Before After After With this MLM coupon only. Cannot be combined with any other offers or specials. Expires 3/17/23 Guaranteed for 10 Years! THE GROUTSMITH Licensed, Bonded, & Insured 561-748-5353 With this MLM coupon, 1 coupon per household. Cannot be combined with any other offer. Minimum 1 1/2 hours cleaning. Expires 3/17/23 OFF FIRST CLEAN $10 Call for a FREE Estimate • Residential • Commercial • Move In/Out • Seasonal Cleaning • One-Time Cleaning GIFTAVAILABLECERTIFICATES We clean your home like it’s our own!
VOL. 561 N 45 Copyrighted© My Living Media. 2023 All Rights reserved. To Advertise call 772-247-6849 Need More Coupons - MyLivingMedia.com WHOLESALE FENCING INSTALLATIONS & REPAIRS HOME OF THE LOWEST PRICE GUARANTEE Honest, Trustworthy, Hassle-Free Service From A Family-Owned Business FREE GATE WITH PURCHASE OF EVERY 150 FT. OF FENCING. UP TO A $450 VALUE FENCING SOUTH FLORIDA 561-612-2018 With this MLM coupon. Not valid with any other offer or prior purchases. Offer expires 3/17/23 PVC/VINYL FENCING CHAIN LINK FENCING “We guarantee to beat any price you have from any legitimate fence company” Licensed &Insured Broward 11-F-17403-X Palm Beach U-21752 WWW.FENCINGSOUTHFLORIDA.COM OFFICE 561-612-2018 SERVING BROWARD & PALM BEACH FREE REMOVAL OF EXISTING FENCE WITH PURCHASE OF NEW FENCING NO MINIMUM REQUIRED (excludes hurricane damaged fencing) FENCING SOUTH FLORIDA 561-612-2018 With this MLM coupon. Not valid with any other offer or prior purchases. Offer expires 3/17/23 Visit our website to see our episode on Designing Spaces NOW INTRODUCING OUR NEW ART DIVISION Custom Metal Works in Any Shape and Style added to your fence, gates, entry door, and interior or exterior house walls WOOD FENCING ALUMINUM FENCING WE DO IT RIGHT THE FIRST TIME FOR LESS. BEAUTYFI MEDICAL SPA 1132 W. INDIANTOWN RD. #204 • JUPITER 561-245-1588 SCAN HERE TO VISIT OUR WEBSITE TUESDAY  11AM-3PM SATURDAY  10AM-3PM HOURS Exp. 3/05/23. Use code MGZ22 Morpheus8 Skin Tightening FREE Buy 2 Get 1 & *$799 a session. Starting at… * $999 a unit $499 $599 $399 LIP FILLER You! Spring Into a Fresher, More Luxurious… Exp. 3/5/23. Use code MGZ22 Exp. 3/5/23. Use code MGZ22 Exp. 3/5/23. Use code MGZ22

51 Boston team, for short DOWN

1 Day light?

2 “-- Had a Hammer”

3 Relating to Plato’s teacher

4 Dugout seating

5 Plumbing woe

6 Einstein’s birthplace

7 CBS logo

8 Semitic language

9 Region

10 Sediment

11 Seeger or Sampras

16 Winslet of “Titanic”

19 Pen uids

20 “Huh?’

21 Sitarist Shankar

22 Odometer reading

23 On the rocks

25 Cracker spread

26 Natives of Rome

27 Poet Sandburg

28 Young foxes

30 Borscht veggie

33 Gushes with pride

34 Street edge

36 Bakery array

37 Canyon sound 38 Incite

39 Actor’s quest 40 Gulf War missile

42 Old CIA foe 43 -- -de-France 44 Zodiac cat 45 Superman foe Luthor

46 VOL. 561 N Copyrighted© My Living Media. 2023 All Rights reserved. To Advertise call 772-247-6849 Need More Coupons - MyLivingMedia.comPUZZLE PAGE
PUZZLE PAGE CROSSWORD ACROSS 1 Venus, to Serena 4 Sad 8 Padlocked fastener 12 E.T.’s craft 13 Slithery 14 New York canal 15 Sobriquet 17 Karate level 18 Poolroom prop 19 Livid 20 Fury 22 Coal source 24 Loathe 25 “The -- Papers” (Dickens novel) 29 Bird (Pref.) 30 Hay bundles 31 -- chi 32 Fined for speeding, e.g. 34 Shopper’s aid 35 Geese formations 36 Selects from a group 37 Everglades wader 40 Delhi dress 41 Hip 42 Popular playground game 46 Corridor 47 Adhesive 48 Born abroad? 49 Rhyming tributes 50 Hotel furniture
SUDOKU PUZZLE
Solutions See Page 54
VOL. 561 N 47 Copyrighted© My Living Media. 2023 All Rights reserved. To Advertise call 772-247-6849 Need More Coupons - MyLivingMedia.com Renovate Your Existing Pool Today! Your Pool Heating and Renovation Specialist FREE Estimate! 561-745-1163 HEATING & RENOVATION A COLD POOL IS NO POOL Heat Pumps • Solar • Gas Salt Chlorination Pool & Spa Automation Pool Pumps & Filters Pool Resurfacing Coping • Tile Look No Further for the Experts in Pool Heating • Heat Pumps • Solar • Gas FAMILY OWNED AND OPERATED STATE LICENSES #CP-CO57115 • #CVC 56745 • NAT/LP 26278 FREE SAME-DAY ESTIMATES 5% Off Purchase Price Of Any Salt Chlorinator, Pool/Spa Automation, Pump, or Filter With this MLM Coupon. Expires 3/12/23 HUGE DISCOUNTS! On Factory Direct Heat Pumps tropicalpoolheating.com *See dealer for details BEFORE AFTER LOST 60 POUNDS! Without Surgery LOST 95 POUNDS! Without Surgery BEFORE AFTER GOALS WEIGHT LOSS Lose Weight QUICK! FREE $100 OFF CONSULTATION All Weight Loss Programs Plus Must present this MLM coupon for discount. Expires 3/15/23 BEFORE AFTER LOST 40 POUNDS! Without Surgery 561-283-1011 401 Maplewood Dr., #2, Jupiter (Maplewood Center behind Home Depot) www.GoalsWeightLoss.net • Eat Real Food • No Exercising Required! • Private Counseling • Medically Supervised • NO Hormone Supplements • Individual Plans GUARANTEED RESULTS – PHENTERMINE AVAILABLE –

For What It’s Worth

It appears that my last two columns regarding the di culty which many patients are facing when attempting to make an appointment with their physician, or attempting to get someone to call them back regarding their medical issues, from doctors who are employed by the large hospital(s) in our communities have struck a nerve. I am used to receiving responses (thank you very much) from some of my articles, but never have I received so many at one time, and they keep coming. I thought this was a big problem for me personally, but apparently, it is an even larger problem than I thought. e emails that I have received are upsetting and at times heartbreaking. Elderly people without a doctor, when their physician of many years suddenly takes a leave of absence or retires, with no one to replace them. People who have to wait months, some nearly a year, to get on their physician’s schedule for treatment, some without the resources to know where to turn, and without guidance from the very institution with which they placed their trust.

In my opinion, and the opinion of others, the system is broken. We all deserve better than this. When people are sick, when people are hurting, when people expect to be treated, and are turned down, they feel abandoned, lost, bewildered, and angry. What’s worse, many of you have asked me to help. I wish I could, but like you, I don’t know where to turn. Still, since I have some public

voice, and a conscience that realizes we all have to do our part to help, I reached out to the hospital to see if they employed a patient advocate who could eld all the calls/complaints and frustrations, and guess what? I found a department that allegedly can help. It is known as the Patient Experience O ce, and the phone number is 772-223-4995. A er two phone calls and several hours later, my call was returned by a very nice woman who was willing to give me the opportunity to voice my concerns. She said she understood the frustration of having to wait for appointments for months, or having a doctor who no longer works there, nor replaced, leaving patients without a physician. She told me her o ce is open to any and all concerns, and she does what she can to allay those concerns, and will contact individual physician o ces to attempt to get earlier appointments.

When I asked her why there is such a long wait to get appointments, even for long-standing patients with doctors of record, she said that with the growth of the community and the large in ux in the population coming to Florida, there are simply not enough doctors to see patients. I nd that answer truthful, but frankly, unacceptable. She also stated that many doctors have le this facility, and have not been replaced, but that they are “working on it.” I don’t doubt what she says is true, but why are doctors’ leaving, and by leaving, I mean leaving our community unattended? Something has to change. is should not be accepted

as the new normal. Sick people need to get well, it’s as simple as that. e question is, how can we do that without appointments or physicians? I am all for nurse practitioners. I am a nurse, rst and foremost, but nurses are not doctors, regardless of how intelligent they are (and they are!).

As well, I reminded the woman I spoke with that at the least, the front line of sta workers elding calls should be held to a higher standard of professionalism, by being kind, considerate and courteous, not rude and dismissive, like some of you have encountered. She agreed. So how much can she help? I don’t know, but personally, I still have to wait until the end of August to see my physician, even though I have been a patient of his for the past ten years.

For What It’s Worth, l appreciated her empathy on behalf of all of us, but it didn’t get me into my doctor any sooner. Maybe a few letters to the administration would be the incentive for change. en again, maybe not.

48 VOL. 561 N Copyrighted© My Living Media. 2023 All Rights reserved. To Advertise call 772-247-6849 Need More Coupons - MyLivingMedia.com BossPublicAdjusting.com
This is a solicitation for business. If you have had a claim for an insured property loss or damage and you are satis ed with the payment by your insurer, you may disregard advertisement. YOUR DAMAGE MAY BE COVERED BY INSURANCE FREE FREE 10-POINT INSPECTION SPECIAL NO RECOVERY • NO FEE WE WILL GET YOU MONEY FOR REPAIRS GUARANTEED OR YOU DON’T PAY US A PENNY! PLUMBING LEAKS ROOF DAMAGE BROKEN WINDOWS FIRE MOLD FREE Policy claim and review 561-861-2677 BOSS Public
Commercial & Residential
Nader Anthony - Lic# P002749
Adjusting
Comments or Suggestions DrMelfi@mediaoms.com
VOL. 561 N 49 Copyrighted© My Living Media. 2023 All Rights reserved. To Advertise call 772-247-6849 Need More Coupons - MyLivingMedia.comHURRICANE IMPACT WINDOWS & DOORS PROTECT WHAT’S PRECIOUS TO YOU! • Hurricane Protection • Home Security • Save on Energy Bills • Save on Insurance Costs • Increase Property Value • Noise Reduction Your Expert in Single Family Homes & Condos! “Our service & products are second to none!” The People’s Choice In Hurricane Protection! 561-336-6511 SAME DAY Appointments! AS LOW AS $120 MO. FINANCING Available! We Beat ALL Competitors’ Pricing CALL FOR DETAILS INSTALLATION & NO SALES TAX. EXP 3/5/23 License #CBC1264950 & INSURED Serving Palm Beach, Martin, & St. Lucie Counties 50% Off
50 VOL. 561 N Copyrighted© My Living Media. 2023 All Rights reserved. To Advertise call 772-247-6849 Need More Coupons - MyLivingMedia.com 772-783-9517 I.M.A.Landscaping@gmail.com IMA LANDSCAPING TREE & PALM SERVICES With this MLM Coupon FREE STUMP REMOVAL Get 1 Free Stump Removed w/Purchase of 3 Stump Removals We Beat AnyEstimateWritten Lic & Ins Serving PSL, Martin, Palm Beach FREE ESTIMATES WE SPECIALIZE IN TREE REMOVAL • Rock & Stone Install • Palm/Tree Removal • Irrigation install & Services • Stump Grinding • Mulching & Sod Installed • Tree Trimming TREE & PALM TRIMMING • Pressure Washing • Brazilian Pepper Tree Cut Back & Removal • Installation/Design • Lawn Maintenance • Clean Ups/Hauling • Weeding & Much More • H.O.A. Complaint Letters • H.O.A Approved • Hazardous trees that are too close to the roof Pressure Washing & Roof Cleaning • Screen Enclosure Frames • Driveways • Paver Sealing • Eco Friendly • Much More! www.pwpbg.com Workman’s Comp • Licensed & Insured Our Guarantee - If your house doesn’t look 157% better than before, we will refund you 100% of your money. “We Clean Barrel Tile, Metal, Asphalt Shingle Roofs & Cedar Shake Roofs” GOT MOLD ON YOUR ROOF? CALL OLIVER TWIST TODAY! We Are Commercial Specialists! Call James for Specials! BEFORE AFTER OliverTwist 561-771-0310 Serving South Florida Since 1999 SENIOR DISCOUNTS CALL FOR DETAILS 561-509-5577 Serving all of Palm Beach County Any New Hot Water Heater or Tankless Heater Any New Toilet Any New Garbage Disposal Clearing Any Sink, Toilet, or Main Sewer Line Your Next Service Call $65 OFF $50 OFF $35 OFF $37 OFF Not valid with other offers or prior services. Must present MLM coupon. Limit one coupon per service call. Not valid with other offers or prior services. Must present MLM coupon. Limit one coupon per service call. Not valid with other offers or prior services. Must present MLM coupon. Limit one coupon per service call. Not valid with other offers or prior services. Must present MLM coupon. Limit one coupon per service call. Not valid with other offers or prior services. Must present MLM coupon. Limit one coupon per service call. Celebrating 40 Years of Excellence www.duallplumbers.com N N N N N Lic. #CFC1429556 Any Job Big or Small We Do Them All! Available Nights, Weekends, & Holidays Plumbing Repairs & Water Heater Installations Senior Citizen & Veteran Discounts Available! $30 OFF
HURRICANE IMPACT WINDOW SALE OF THE TREASURE COAST Visit Our Showroom Location - 2820 SE Monroe St., Stuart LIC#CGC009090 EcoViewWindows.com/Treasure-Coast 772-758-8640 $760 FREE INSTALLATION ANY SIZE Call Today For A FREE Estimate HIGHEST QUALITY AT THE LOWEST PRICE GUARANTEED! UNDER 101 UI LEAD TIME 4-6 Weeks ∙ NO PRODUCTS ∙ U FACTOR 0.29 ∙ MISSILE-IMPACT RATING D
52 Need More Coupons - MyLivingMedia.com · HARDWOOD · VINYL · LAMINATE · ENGINEERED WOOD · REFINISHING CALL NOW FOR FREE ESTIMATE STUART 772.600.4814 www.faceofwood.com SHOWROOM: 6408 SE Fed. Hwy., Stuart | Mon-Fri: 8am-5pm |Sat: By Appointment Only FLOORING INSTALLATION & REFINISHING 14 Years Serving South Florida! 10% OFF With this MLM coupon Expires 3/17/23 (Estimates that include both materials & installation) Licensed & Insured Come In To See Our New Collections Now In Stock WWW.TKGUTTERS.COM 772-692-9727 | 561-250-2184 Authorized Dealer For PRESERVE & PROTECT YOUR HOME, FOUNDATION, & LANDSCAPING FROM WATER DAMAGE • Seamless • Modern Box • Half Round • Commercial • Aluminum • Copper Steel • Installation • Cleaning • Manufacturing • Repair • Maintenance • 5-YEAR WARRANTY FREE ESTIMATES Licensed & Insured License #MCNS4803 HELPING YOUR BUSINESS BECOME MORE EFFICIENT WHILE SAVING MONEY! 561-419-9530 CARRIER ASSESSMENT Complimentary (Valued at $350) With this MLM Coupon • CARRIER SERVICES • VoIP SERVICES • VIDEO CONFERENCING • NETWORKING & WIFI Treasure Coast 772-210-3530 Palm Beach
VOL. 561 N 53 Copyrighted© My Living Media. 2023 All Rights reserved. To Advertise call 772-247-6849 Need More Coupons - MyLivingMedia.com Jupiter Sod & Landscaping 561.768.1337 561.747.7856 FREE ESTIMATES FLORATAM • BAHIA • PALMETTO • BERMUDA Sod Removal & Installation 13049 W. Indiantown Rd. • Jupiter LANDSCAPE DESIGN ROCKS & MULCH PRODUCE HARDSCAPING Over 40 Years of Experience 1st Pallet 10% OFF With this OMS coupon. Expires 3/5/23 RESIDENTIAL & COMMERCIAL • Shingles • Synthetic Shingles • Metal • Tile • Aluminum 1500 N Florida Mango Rd Suite 3 • WEST PALM BEACH (561) 264-6233 $500 Off $1000 Off Any Roof $10,000 or more. Any Roof $20,000 or more. Must present coupon when signing contract 3/31/23 Must present coupon when signing contract 3/31/23 THE WINDOW & DOOR SPECIALIST 772-288-6205 WWW.KAMRELL.COM KAMRELL When You Want It Hung Well... TRUST FAMILY OWNED & OPERATED SINCE 1999 8200 SW LOST RIVER ROAD STUART, FLORIDA 34997 Financing Options Available On Our Website LICENSED & INSURED CGC061180 THE DOOR SYSTEM YOU CAN BELIEVE IN THE DOOR OF BEAUTY AND INOVATION
54 VOL. 561 N Copyrighted© My Living Media. 2023 All Rights reserved. To Advertise call 772-247-6849 Need More Coupons - MyLivingMedia.com 132 NE Dixie Hwy., Stuart, FL 34994 Licensed & Insured State Certi ed License #CCC024411 Serving Martin & Palm Beach Counties for Over 30 Years! “You’ve tried the rest…now call the Best!” Re-Roof & Repair Specialists METAL ROOFS Starting At Starting At $17,500 TILE ROOFS (Minimum 3500 Sq Ft of Roof) $24,500 (Minimum 3500 Sq Ft of Roof) 772-692-9854 Re-roofs • Repairs • New Construction • Cement & Clay Tile Fiberglass Shingles • Wood Shakes • 5-V & Standing Seam Metal Built-up Modi ed Rubber • Residential & Commercial 25- to 50-Year Material Warranty Available 5- to 10-Year Labor Warranty Available Martin County’s Trusted Name Since 1980! S U D O K U Solution CROSSWORD SOLUTION SOLUTION TIME: 25 MINS. PUZZLE SOLUTIONS PUZZLE SOLUTIONS FREE CONSULTATION 10% OFF 561.855.6595 Let Us Make Your DreamA Reality! LIC# CGC1525942 825 15th Street Lake Park • Custom Cabinets • Closets • Kitchens • Bathrooms • Doors & Windows • Custom Millwork Any Remodeling Job. Must Book Before 2/28/23 Total Ima g e With this MLM coupon
VOL. 561 N 55 Copyrighted© My Living Media. 2023 All Rights reserved. To Advertise call 772-247-6849 Need More Coupons - MyLivingMedia.com ONE-STOP SOURCE for All Your Construction Needs • Windows & Doors Replacement • Exterior & Interior Painting • Home Additions • Flooring: Tile, Marble, & Wood • Wall Pictures, Windows Case, Base, Etc. Over 15 Years of Experience Licensed & Insured CBC#1261628 Upgrade Your Floor AND RECEIVE A FREE 5 1/4 WOOD BASE BOARD ANY JOB $25K OR MORE! Offer cannot be combined. • Expires 3/15/23Offer cannot be combined. • Expires 3/15/23 Call For FREE ESTIMATE contact@apexbuildercontractor.com www.apexbuildercontractor.com 772-232-7128 772-232-7114 $2,500 OFF WE SPECIALIZE IN HOME ADDITIONS New Homes & Commercial Kitchen Remodeling Windows & Doors Bathroom Remodeling
56 VOL. 561 N Copyrighted© My Living Media. 2023 All Rights reserved. To Advertise call 772-247-6849 Need More Coupons - MyLivingMedia.com ing and refacing services, your original cabinet boxes stay in place –saving you the time, cost, and mess of a complete remodel. We’ll have your kitchen looking brand new in no time! Give us a call to schedule your free, in-home estimate. Before Refacing CALL TOD AY 561. 861.3532 DIEGO HERNANDEZ Locally Owned and Operated Serving Jupiter, FL and the surrounding area. Hassle-Free Kitchen Updates Choose a new color and style for your kitchen with cabinet refacing. kitchentuneup.com 1 DAY TUNE-UP • REFACING • REDOORING • CUSTOM CABINETS AND MORE! $500 OFF $75 OFF FREE Any New Roof $8000 & Up Any Roof Repair $750 & Up Estimates On Roofs & Repairs Expires 3/17/23 Expires 3/17/23 Expires 3/17/23 561-566-5601 www.myroofsystem.com WHERE QUALITY & SERVICE MAKES THE DIFFERENCE CALL FOR A FREE ROOF EVALUATION TODAY! From… PROTECT YOUR PROPERTY WITH EXPERT ROOFING • ROOF REPAIR • ROOF REPLACEMENT • ROOF LEAK DETECTION • NEW CONSTRUCTION
VOL. 561 N 57 Copyrighted© My Living Media. 2023 All Rights reserved. To Advertise call 772-247-6849 Need More Coupons - MyLivingMedia.com CALL TODAY FOR A free estimate! DRIVEWAYS • WALKWAYS • PATIOS • POOL DECKS • RETAINING WALLS CUSTOM POOL REMODELS • NEW POOL CONSTRUCTION • CLEAN & SEAL PAVERS • REPAIRS MARTIN 772-419-5151 PALM BEACH 561-844-9370 apexpaversandpools.com LICENSED & INSURED: CPB #4701 • U-20589 • U-20796 • RP #4701 *WITH APPROVED CREDIT. OFFERS CANNOT BE COMBINED. Apex Pavers & Pools, Inc. 725 SE Monterey Rd., Stuart, FL 34994 COME VISIT OUR SHOWROOM! POOLS TRANSFORMING THE ORDINARY TO Extraordinary FINANCING AVAILABLE CONTACT US TODAY TO LEARN MORE* CALL TODAY FOR A free estimate! DRIVEWAYS • WALKWAYS • PATIOS • POOL DECKS • RETAINING WALLS CUSTOM POOL REMODELS • NEW POOL CONSTRUCTION • CLEAN & SEAL PAVERS • REPAIRS MARTIN 772 - 419-5151 PALM BEACH 561-844-9370 apexpaversandpools.com LICENSED & INSURED: CPB #4701 • U-20589 • U-20796 • RP-252555006 *WITH APPROVED CREDIT. OFFERS CANNOT BE COMBINED. Apex Pavers & Pools, Inc. 725 SE Monterey Road, Stuart, FL 34994 POOLS TRANSFORMING THE ORDINARY TO Extraordinary 12 MONTHS SAME AS CASH NO INTEREST, NO PAYMENTS FOR 12 MONTHS* COME VISIT OUR NEW SHOWROOM! DRIVEWAYS • WALKWAYS • PATIOS • POOL DECKS • RETAINING WALLS CUSTOM POOL REMODELS • NEW POOL CONSTRUCTION • CLEAN & SEAL PAVERS • REPAIRS LICENSED & INSURED: CPB #4701 • U-20796 • RP-252555006 • CPC 1458696 Visit Our Showroom
58 VOL. 561 N Copyrighted© My Living Media. 2023 All Rights reserved. To Advertise call 772-247-6849 Need More Coupons - MyLivingMedia.com Our Jupiter location is centrally located and We welcome you to meet Gabrielle Poplarchick, Jupiter’s One-Stop Shop For Your Hearing Needs! Schedule an appointment for you or a loved one: 2161B S. US Highway 1

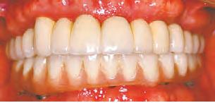
“Hi, I’m Mark Lindsay, and that was me on the Ed Sullivan Show. I sang every hit song for Paul Revere & the Raiders, including ‘Kicks,’ ‘Indian Reservation,’ and my solo ‘Arizona.’ My trademark was a ponytail and a teen idol smile. The ponytail’s been gone for awhile, but as a singer my smile is still super important. I recently visited Appearance Dental for an implant and crown procedure. The staff was courteous and made me feel comfortable from the moment I walked in the door. I was really impressed with their dental office and the dentist did an outstanding job. Appearance Dental transformed my smile, and I trust them to keep my smile looking revolutionarily good.” — Mark Lindsay

Read all of our testimonials at AppearanceImplants.com

WE WILL MEET OR BEAT ANY WRITTEN ESTIMATE ON IMPLANTS, ROOT CANALS, & CROWNS!

VOL. 561 N 59 Copyrighted© My Living Media. 2023 All Rights reserved. To Advertise call 772-247-6849 Need More Coupons - MyLivingMedia.com OPEN FOR EMERGENCIES | AFFORDABLE DENTAL EXCELLENCE IS NOW HERE! WE ARE PRIVATELY OWNED, NOT A CHAIN OR CORPORATE ENTITY. WE SPECIALIZE IN FULL MOUTH RECONSTRUCTION Additional services we offer include CLEAR TOOTH ALIGNERS, SINGLE IMPLANTS, DENTURES & MORE!!! FREE IMPLANT CONSULTATION (Exam & Digital X-Ray or 3D Cone Beam) (D0150, D9310, D0330 & D0383) SureSmile® OR CLEAR TEETH ALIGNERS OUR EXPERIENCED DENTISTS HAVE PLACED THOUSANDS OF IMPLANTS You Des ve a Beautiful Smile! SALVATORE MELITA, DDS ALANA SHIELDS, BSN, RN, DMD JOSEPH GAETA JR., DDS Better On 8™ Cleaning Porcelain Fused to Metal Crown Zirconium All Porcelain Crown $79 $699 $899 Includes Free Exam & X-Rays New Patients Only LIMITED OFFER (D1110, D0150, D4355,D0330) (D2751) (D2740) FULL ROUND HOUSE BRIDGE A Better Alternative to All-On-4 Benefits • Very little, if any speech changes • Does not cover any part of the palate • Can be cleaned just like bridges on teeth • Require no special abutments (All-on-4 protocol requires angle correct on abutments which are not bone or gum tissue friendly) • Usually do not need pink porcelain at the gumline (because aggressive bone removal is not necessary) D6010, D6056, D6240, D6060 BETTERON8.COM D6010, D6056, D5863, D5865, D5862 PER ARCH WITH LOCATORS PER ARCH D6010, D6056, D6065, D6060 50% SAVINGS WE USE MEGAGEN IMPLANT SYSTEMS Implant, Abutment, and Zirconium Crown Implant, Abutment, and Crown Only$1,899 Only$2,099 D7140 DENTURES ECONOMY $359 INTERMEDIATE $999 DELUXE $2,000 D5810/D5811 D5130/D5140 D5110/D5120 With Simple Extractions Starting at $99 We will beat any like-priced quote $9,999 Implant and Abutments Placed Crown and Bridge Porcelain Fused to Metal Implant Abutments Placed $14,500 FULL MOUTH RECONSTRUCTION ROUND HOUSE BRIDGE 8/6 IMPLANTS & 12 UNITS OF CROWNS starting at starting at TR-1968533.INDD SALESPERSON:MelissaKelley ISOUR37YEARTRADITION DentistOwned,Not “Hi,I’mMarkLindsay,andthat smeontheEdSulli nSho Isang eryhitsong fo Paul Reve &the Raiders, including ‘Kicks,’ ‘Indian Reservation,’and my solo ‘Arizona.’Mytrademark saponytailandateenidolsmile.Theponytail’sbeen go fo awhile,butasasinger my smileisstillsuperimportant.I cently visited TraditionDental foranimplantandcrownprocedure. Thestaff scourteousandmademe feelcomfortablefromthe momentI lkedinthedoor.I allyimpressedwiththeir dentalofficeandthedentistdidanoutstandingjob. Tradition Dentaltransformed my smile,andItrustthemto keep my smile looking lutionarily good.” —MarkLindsay TRADITIONDENTALGROUP 772-207-1213 ILABLE,MOSTINSURANCESACCEPTED
WALK-INS WELCOME EVENING APPOINTMENTS AVAILABLE PRICES ARE SUBJECT TO CHANGE WITHOUT NOTICE WITH THE EXCEPTION OF PREVIOUSLY SCHEDULED TREATMENT PLANS. THE PATIENT AND ANY OTHER PERSON RESPONSIBLE FOR PAYMENT HAS THE RIGHT TO REFUSE TO PAY, CANCEL PAYMENT OR BE REIMBURSED FOR ANY SERVICE EXAMINATION OR TREATMENT WHICH IS PERFORMED AS A RESULT OF AND WITHIN 72 HOURS OF RESPONDING TO THE ADVERTISEMENT FOR THE FREE, SERVICE, EXAMINATION OR TREATMENT. LIC #DN10761 561-250-6307 6390 W. Indiantown Rd., #32 • Jupiter, FL 33458 At the West End of the Chasewood Plaza AppearanceImplants.com SCAN HERE OPEN MON.-FRI. EVENING HOURS AVAILABLE

The Florida lifestyle provides us with a host of options for getting from point A to point B... from scooters to speed boats, we’ve got them all! e golf cart in particular has, with all of the gated communities in the Sunshine State, become an easy and convenient way to get around the area. Golf carts aren’t just for private neighborhoods or the links though; in fact, they have even become a quick way to tote the kids to and from the bus stop every day! Do the prices at the pumps tempt you to put the car in the garage for a while? Head to Ace of Carts, the area’s largest golf cart superstore with the best selection of golf carts, golf cart accessories, and top-notch service!

Ace of Carts is a family-owned and operated business led by Nick Rotundo and his dad, Rock Rotundo. Nick and Rock were in the automotive business together before making the move from upstate New York to south Florida seven years ago. Nick explains that a er moving, his family had a di cult time purchasing a golf cart for his grandmother, who had moved into a gated community. So, Nick and Rock ventured into the golf cart sales business together, becoming an authorized retailer for ClubCar, Yamaha, Icon, and Polaris Commercial golf carts.

In 2018, the Rotundo family moved the business to its current Stuart location (formally Tri County Golf Carts). Ace of Carts now employs over 30 sales, service, and customer care personnel, and is the highest volume sales dealer of golf carts in the area! In addition to golf carts, Ace of Carts has an inventory of electronically-assisted bikes (ebikes) for the bike rider who wants a more comfortable option when it comes to pedaling uphill.

Aside from their vast inventory, Ace of Carts is the go-to source for many Palm Beach, St Lucie, and Martin County residents due to Nick and Rock’s industry experience and dedication to exceptional

service. In these challenging times of supply and demand, the service team at Ace of Carts does everything possible to guarantee that customers have their service and sales needs met. Ace of Carts’ factory-trained technicians have the knowledge to provide quality diagnostics, service, and repair for any golf cart. ey realize that golf carts are important to lifestyle routines, so they make timely service a priority.

One of many happy Google reviewers says of Ace of Carts, “I purchased my Club Car cart from Ace of Carts about four years ago and have been supported by them the entire time. If I have questions, I receive answers by a call or text immediately. ey truly want the entire experience to be as close to perfect as possible. Nick and the entire family are fantastic… and I like supporting a family business…”

In addition to their Stuart location, Ace of Carts has expanded to two more locations, one in Daytona Beach and the other, newest one in Tequesta, the Grand Opening of which is later this month. Tequesta’s premier 3,000 square foot showroom will still have the same o erings as the other locations, but will be more focused on the customer experience. Nick explains, “ e Tequesta location will be geared more toward the golf customer.” ere will be a digital golf simulator on the premises, along with other interactive displays and attractions that customers can explore while shopping for carts and accessories! Nick adds, “ e customers will leave the store more informed than when they walked in.”

Like Ace of Carts’ other locations, the Tequesta location will provide FREE cart pick up and delivery with almost every sale. Ace of Carts also o ers 0% nancing for 48 months on select products, making it easy to purchase a golf cart that will absolutely be the envy of the neighborhood.

Find the perfect golf cart at Ace of Carts, and stay tuned for the Tequesta Ace of Carts Grand Opening!

4 VOL. 559 H/K Copyrighted© My Living Media. 2022 All Rights reserved. To Advertise call 772-247-6849 Need More Coupons - MyLivingMedia.com
Ace of Carts can also be found at the Daytona Flea & Farmers Market, located at 1425 Tomoka Farms Road in Daytona Beach. Visit Ace of Cart’s website to view their gallery of inventory at aceofcarts.com. For more information, call 1-833-ACE-CART (223-2278) or call 772-678-7636. e NEW Ace of Carts in Tequesta is located at 552 US Highway N. NOW OPEN Mondays-Fridays from 10AM to 5PM and Saturdays from 9AM to 3PM.
Carts
Your
Ace of
in Stuart is located at 4880 SE Federal Highway. Ace of Carts in Daytona Beach is located at 2674 LPGA Boulevard. ACE OF CARTS :
Local Golf
Copyrighted© My Living Media. 2022 All Rights reserved. To Advertise call 772-247-6849 Now Open in Tequesta! Authorized Dealer CARTS IN STOCK AND READY FOR DELIVERY! Cart Superstore! SALES• SERVICE • PARTS Ace of Carts Red Tag Sales Event! OVER 200 BRAND NEW CLUB CARS IN STOCK! Must be a 2022 Model Year Club Car from dealer stock. Offer Valid through March 16th 2023 or while supplies last. Financing is available with standard rates. Not eligible for 0% Financing promotion; offers do not combine. $1,000 in FREE Accessories FREE Local Delivery Destination & Setup Charges. REGISTER ONLINE TO GET: https://aceofcarts.com/red-tag/ Promo code: MLM822 Authorized Club Car Dealer Now Open in Tequesta! Ace of Carts has the Area’s Largest Selection of Golf Carts!
62 VOL. 561 N Copyrighted© My Living Media. 2023 All Rights reserved. To Advertise call 772-247-6849 *Additional charges may apply for heavily soiled areas Serving the Treasure Coast from Vero to Palm Beach 772-919-7163 • 561-250-0088 WWW.CarpetCleanerInFlorida.com 3 ROOMS $68 2 ROOMS $42 5 ROOMS $99 TILE & GROUT CLEANING 39¢ SQ. FT. 100 SQ. FT. MINIMUM FURNITURE CLEANING $60 SOFA OR LOVE SEAT OR 2 CHAIRS AREA RUGS $40 AND UP PREVENTS FIRES DRYER VENT CLEANING FREE DEODORIZER, SANITIZER, & DISINFECTANT $85FROM & SPEEDS DRYING TIME OFFER #MS2-2 CARPET CLEANING Licensed Ask about ...dries in half the time!
VOL. 561 N 63 Copyrighted© My Living Media. 2023 All Rights reserved. To Advertise call 772-247-6849 Need More Coupons - MyLivingMedia.com Family Owned & Operated since 1983 4 Generations of Plumbing & Knowledge! TOLL FREE 2647 President Barack Obama Hwy., Riviera Beach, FL 33404 561-625-9414 800-323-0263 www.NorthCountyPlumbing.org • Licensed • Bonded CFC026530 Serving All of Palm Beach County for 39 Years Strong & Still Growing! $ 425 $ 99 With this MLM coupon. Cannot be combined with any other offer. Expires 3/17/23 TOILET REBUILD SPECIAL Includes Fill Valve & Flapper. Standard Toilets Only Regular Price $148 - Special Price $99 - SAVE $49 With this MLM coupon. Cannot be combined with any other offer. Expires 3/17/23 NEW TOILET Supply & Install White Round or Elongated Toilet With Seat, Standard Height. Reg. Price $499, Special Price $425 SAVE $75. Additional Charges Will Be Applied for Above 1st Floor Installations. With this MLM coupon. Cannot be combined with any other offer. Expires 3/17/23 ·Signs ·Vehicle Wraps ·Boat Wraps ·T-Shirt/Apparel ·Printing ·Biz Cards ·Flyers ·Promotional Items ·Food Product Labeling ·Stickers 151 FERN STREET Unit #2, Jupiter SCAN HERE TO VISIT OUR WEBSITE 561-567-7422 50% OFF Standard Business Cards Restrictions Apply Call For Details. With MLM coupon. May not be combined with any other offer. Exp. 3/5/23 Did You Know We Also Do... • Business Cards / Flyers • Promotional Items • Brochures • Banners • Boat & Car Wraps
Second Location 4880 SE Federal Hwy. • Stuart 552 US Hwy. 1 North • Tequesta (LOCATED IN THE PUBLIX PLAZA) 1-833-ACE-CART 223-2278 Second Location Aceofcarts.com Ace of Carts Authorized Club Car Dealer Now Open in Tequesta! Red Tag Sales Event! OVER 200 BRAND NEW CLUB CARS IN STOCK! Must be a 2022 Model Year Club Car from dealer stock. Offer expires 3/16/23 or while supplies last. Financing is available with standard rates. Not eligible for 0% Financing promotion; offers do not combine. Ace of Carts has the Area’s Largest Selection of Golf Carts! CARTS IN STOCK AND READY FOR DELIVERY! SEE PAGES 60-61 $1,000 in FREE Accessories FREE Local Delivery Destination & Setup Charges. REGISTER ONLINE TO GET: https://aceofcarts.com/red-tag/ Promo code: MLM822 SALES• SERVICE • PARTS Residential Customer PRSRT STD ECRWSS US POSTAGE PAID PERMIT #145 STUART, FL 2081 SE Ocean Blvd. • Suite 4 Stuart, Florida 34996 • 772-334-2121

Turn static files into dynamic content formats.

Create a flipbook
Issuu converts static files into: digital portfolios, online yearbooks, online catalogs, digital photo albums and more. Sign up and create your flipbook.