N5-Juno Beach Living-Vol.558

Page 1

See Page 51 Catering to Your Pet’s Health! Juno Beach Living VOL. 558-N5 Index Page 9 MYLIVINGMEDIA.COM For What It’s Worth Pg. 46 PB CBD Boutique Pgs. 4-5 Unlimited Auto Wash Pgs. 60-61
Copyrighted© My Living Media. 2023 All Rights reserved. To Advertise call 772-247-6849 Need More Coupons - MyLivingMedia.com WATER & MOLD DAMAGE EXPERTS WATER & MOLD DAMAGE EXPERTS 24/7 EMERGENCY RESPONSE 24/7 EMERGENCY RESPONSE (561) 878-8082 (561) 878-8082 FULLY LICENSED & INSURED ALLDRYUSA.COM FULLY LICENSED & INSURED ALLDRYUSA.COM NO MONEY DOWN!! WATER DAMAGE & MOLD REMEDIATION NO MONEY DOWN!! WATER DAMAGE & MOLD REMEDIATION GIVE US A CALL IF YOU SEE... GIVE US A CALL IF YOU SEE... WATER STAINS FLOOR BUCKLINGKITCHEN LEAKMOLD BUILDUP QUALITY PROFESSIONAL RESTORATION IS OUR PROCESS QUALITY PROFESSIONAL RESTORATION IS OUR PROCESS OUTSTANDING RESULTS IS OUR GUARANTEE OUTSTANDING RESULTS IS OUR GUARANTEE CALL CALL (561) 878-8082 (561) 878-8082 TODAY FOR A FREE INSPECTION TODAY FOR A FREE INSPECTION $100 REBATE $100 REBATE ON MOLD SERVICES ON MOLD SERVICES MUST MENTION CODE LMM MUST MENTION CODE LMM NO INSURANCE? NO NO INSURANCE? NO PROBLEM! PROBLEM! DIRECT PAY & FINANCING DIRECT PAY & FINANCING OPTIONS AVAILABLE OPTIONS AVAILABLE Fully Licensed Contractors & Mold Remediators #CGC1525977 #MRSR3558
Need More Coupons - MyLivingMedia.com FINANCING AVAILABLE Impact Resistant Fiberglass & Mahogany Entry Doors • Impact Resistant Decorative Glass Inserts Interior Doors • Impact Resistant French & Sliding Glass Doors Call today 561.464.6102 to schedule your FREE SHOWROOM appointment or schedule online FrontdoorsFL.com BOCA RATON | 9858 Clint Moore Rd., Suite C-128 • Boca Raton, FL 33496 Tuesday - Friday • 9am - 5pm Saturday • 9am - 4pm WEST PALM BEACH | 346 Pike Road, Suite 6, West Palm Beach, FL 33411 Monday - Friday • 7am - 4:30pm Saturday • 9am - 2pm JUPITER | 75 E. Indiantown Road, Suite 507, Jupiter, FL 33477 Tuesday - Friday • 9am - 5pm Saturday • 9am - 4pm LICENSE # CBC037800 * Offer not valid on prior sale. Applies to installed exterior & interior doors only. Offer ends Feb. 28th, 2023

For a Healthier You

By now, most people have heard of cannabinoid oil, more commonly known as CBD. Not everyone, however, knows how it works. Some skeptics imagine CBD as having hallucinogenic e ects similar to marijuana, which causes a negative stigma. In fact, CBD contains 0.3% or less tetrahydrocannabinol (THC), the substance found in marijuana. us, CBD does not cause hallucinogenic e ects.

CBD is completely di erent from THC, and according to Kennedy Johnson, owner of Palm Beach CBD & Wellness Boutique, CBD can be extremely bene cial for a myriad of ailments.

Before Kennedy opened her own business, she was also a skeptic. But, she began using CBD products to relieve the pain that she was experiencing from sports-related injuries. Kennedy de nitely noticed a decrease in pain and in ammation, but she wasn’t completely satis ed with the CBD retail market. She took an interest in the industry, and realized that her own community needed a safe place where consumers could purchase trusted, tried-and-true, highquality CBD products. So, Kennedy opened Palm Beach CBD & Wellness Boutique in 2019.

ree years later, the one-of-a-kind Palm Beach CBD & Wellness Boutique in North Palm Beach is a modern, clean, inviting space that o ers everything CBD. Kennedy and her knowledgeable sta will not carry just anything, though, and they product test everything that’s put onto the shelves. Kennedy states, “We carry the largest local selection of award-winning, high-quality CBD products made from all-natural ingredients.”

Experience the Bene ts of CBD

Research shows that higher-quality CBD products, like the ones carried at Palm Beach CBD & Wellness Boutique, can produce more healing e ects than medical marijuana. CBD in general doesn’t cause the euphoric e ects (“the high”) that occur with THC, making CBD a more appropriate solution for common health complaints.

Every product in Palm Beach CBD & Wellness Boutique is completely legal and follows the state regulations of the Florida Certi cate of Analysis (COA), which tests cannabinoid pro les. Furthermore, every product also falls under the THC regulation limit of 0.3 percent, so no medical marijuana card is needed to purchase any CBD products at Palm Beach CBD & Wellness Boutique.

Due to CBD’s rising popularity, it has been the subject of examination in a number of studies as a treatment for anxiety. As such, Palm Beach CBD & Wellness is worth checking out if you are feeling overwhelmed and/or stressed! Kennedy explains that her boutique also stocks everything from topicals used for arthritis, insomnia, and in ammation to oils and gummies for pain relief and anxiety. Even people without any sleep issues can use CBD to experience a calming e ect a er a hectic day, making it easier to ease into relaxation mode.

If you notice that your daily dose of glucosamine just isn’t helping with joint sti ness anymore, then try one of Palm Beach CBD & Wellness Boutique’s amazing topicals, which have pain-relieving and anti-in ammatory properties! Some of the boutique’s most popular brands

Copyrighted© My Living Media. 2022 All Rights reserved. To Advertise call 772-247-6849

4 VOL.
H/K
548
Need More Coupons - MyLivingMedia.com

include Charlotte’s Web, CBDMD, and Extract Labs. Palm Beach CBD & Wellness Boutique’s inventory also includes a full line of CBD skincare, CBD pet supplies, and Delta-8 products.

Veterinarians recommend dog and cat parents to Palm Beach CBD & Wellness Boutique, which carries an assortment of CBD pet chews and oils that help relieve anxiety and even joint pain in older pups. e all-natural, synthetic-free products have a calming e ect on the pet instead of acting as a sedative that just makes your fur baby sleepy.

Living in the sunshine state has its bene ts, but it certainly takes a toll on our skin. Palm Beach CBD & Wellness Boutique carries amazing CBD body scrubs, oils, and lotions that calm down skin ailments such as itching, sunburn, and dryness. e store even carries a wide selection of CBD bath bombs for a totally relaxing spa experience right in the comfort of your own tub.

Using CBD each day may just keep the doctor away! “People should really think of taking CBD products as part of their daily supplement regimen,” says Kennedy, who wants her customers to view her boutique as they would a wellness center.

Do Your Own Research

Kennedy and her sta realize that people have questions about CBD. ey understand that you may not be sure about how CBD products work or which one is the right solution for a particular ailment. As a result, Kennedy and her team are on-site to answer any questions and guide you in the right direction depending on your needs.

Kennedy does, however, encourage all of her customers to do their own research and educate themselves on how CBD works. She states, “Many customers come into the store skeptical and then come back for more when they realize the di erence in how they felt without the CBD product.”

Prescription drugs are not always the answer because they are not always e ective, have their own host of side e ects, and, even worse, can initiate addiction habits. Why not try something completely natural and organic, such as the CBD products found at Palm Beach CBD & Wellness Boutique, before having to rely on a prescription drug. With ongoing research, the list of uses of CBD products continues to grow, giving more and more hope to those looking to enhance their overall quality of life.

Palm Beach CBD & Wellness Boutique is located at 11450 US 1 in North Palm Beach. The store is open Monday-Friday from 11AM-5PM. For more information, call 561-283-4343 or visit palmbeachcbdboutique.com.

Stop by Palm Beach CBD & Wellness Boutique, mention My Living Magazine, and enjoy your FREE CBD product!

Copyrighted© My Living Media. 2022 All Rights reserved. To Advertise call 772-247-6849

VOL.
H /K 5
548
Need More Coupons - MyLivingMedia.com
We’re next to
Paris in Town Cafe
FREE CBD PRODUCT & 20% Off All Purchases When you mention this My Living Media article!
6 VOL. 558 N Copyrighted© My Living Media. 2023 All Rights reserved. To Advertise call 772-247-6849 Need More Coupons - MyLivingMedia.com Call for a free in home design consultation and estimate Imagine your home, totally organized! Custom Closets, Garage Cabinets, Home Offices, Pantries, Laundries, Hobby Rooms and more... 40% Off Plus Free Installation Terms and Conditions: 40% off any order of $980 or more or 30% off any order of $680-$979 on any complete Custom Closet, Garage Cabinets, Home Office, Pantry, Laundry, Wall Bed, Wall Unit, Hobby Room or Garage Flooring system. Not valid with any other offer. Free installation with any complete unit order of $600 or more. Expires in 30 days. Call for a free in home design consultation and estimate (561)203-4745 www.closetsbydesign.com MSJ Follow us 2020 © All Rights Reserved. Closets by Design, Inc. Walk-In-Closets Laundry Rooms Home Offices Garage Cabinets Follow us www.closetsbydesign.com CGC1509325 & MC1900055 (561) 203-4745 MSJ

came in for a weekend emergency. Dr. Habashy was gentle, funny, and able to get me out of pain quickly”

A.

Habashy is a great dentist! Always puts me at ease and takes care of me. I go wherever he is!” —Christina C.

Dr. Habashy definitely deserves 10 plus stars. This was me and my family first time visiting his office. He’s very gentle and caring. My kids loved him so he’s a winner in my books. So many great things to say about him. Book him you will not regret it.” —Yolanda W.

dental office I’ve ever been to. Calm atmosphere with top quality staff. You can even watch TV! Will definitely be coming back again.” — Kevin J.

root canal of my life! And the crown looks beautiful! Dr. Habashy is the best dentist” . — Eric L.

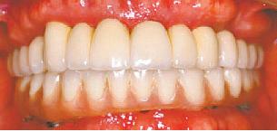
VOL. 558 N 7 Copyrighted© My Living Media. 2023 All Rights reserved. To Advertise call 772-247-6849 Need More Coupons - MyLivingMedia.com SIGNATURE PRINT NAME DATE Making top-quality DENTISTRY AFFORDABLE! Palm Beach Gardens | 4595 Northlake Blvd., Suite 103 Call to schedule your appointment today! 561-427-7711 www.HabashyDental.com When it comes to your smile, we provide top-quality services with a gentle touch. We make sure your comfort is our priority and are committed to giving you a beautiful smile that lasts a lifetime. Financing Available • Affordable Pricing Most Insurances Accepted • On-Site Implants Open Saturdays & Evenings We’ll help you smile WITH CONFI DENCE! ★ ★ ★ ★ ★ “I
—Christina
★ ★ ★ ★ ★
★ ★ ★ ★ ★“
★ ★ ★ ★ ★
★ ★ ★ ★ ★“Easiest
New Patient Specials: New Patient Specials: New Patient Specials: $99 $300 OFF Cleaning, Complete Patient Exam, & X-rays Crowns, Root Canals, or Implants Complimentary Implant Consultation With this MLM coupon. Not valid with other offers or prior services. Expires 1/31/23 With this MLM coupon. Not valid with other offers or prior services. Expires 1/31/23 With this MLM coupon. Not valid with other offers or prior services. Expires 1/31/23 includes 3D Cone Beam X-Ray (Valued $364).
“Dr.
“Nicest

MY LIVING CONTENTS - ZONE N

ANIMALS & PETS

Health E Pets 51

AUTOMOTIVE

Ace of Carts 20

All Approved Autoworks 48

Pelican Car Wash 26

Prime Golf Cars ................................ 42

Unlimited Auto Wash 29

BEAUTY

Absolute Wellness Spa .................... 53

BeautyFi MedSpa 36

CLEANING SERVICES

Honor Carpet.................................... 62

Oliver Twist Pressure Washing ......... 44

Stanley Steemer 11

The Groutsmith Grout Cleaning 45

Xterior Xperts Pressure Cleaning ..... 53

DINING & ENTERTAINMENT

Beneditti’s Pizza 21

Brio Italian Grille .............................. 23

Divine Treats .................................... 22

Jersey MIke’s Subs-Jupiter 24

Plant Based Ma a 23

Poke N Go ........................................ 21

Thai West ......................................... 22

The Grove.........................................24

Tiramisu Pizzeria and Trattoria 22

FITNESS & SPORTS

Be Fit Body Boutique 50

HOME IMPROVEMENT

Advanced Re nishing ...................... 50

Alliance Group Roo ng 59

Allied Aluminum and Railing 40

Alternate Power Solutions ............... 43

Apex Pavers and Pools .................... 57

Brilliant Roo ng 16

Closets By Design 6

Coastal Closets and Showers .......... 18

Complete Synthetic Turf...................38

Du-All Plumbing 49

East Coast Electric Screening 52

Eco View Windows 10

Face of Wood 58

Fencing South Florida ...................... 16

First Impression Doors and More ...... 3

IMA Landscaping 54

JL Closets, Inc. 13

Jupiter Sod and Landscaping .......... 18

K-Boys Construction ........................ 54

Kamrell Windows and Doors 55

Kitchen Tune Up 58

Marzo Roo ng Inc ............................ 44

Max Guard Hurricane Enclosures 32-33

Max Guard Hurricane Windows .................................. 34-35

North County Plumbing .................... 54 Odums Sod 28

OX Floor Coating 19

Plantation Shutters Florida .............. 44

Plumb Rite Plumbing ....................... 53

Precision Door Service 38

PS Flooring Inc. 63

Quality Air of America ...................... 15

Roo ng Systems of FL ..................... 55

Seaglass Window 56

Stott Brothers Electric 28

Stuart Roo ng .................................. 18

Total Image ...................................... 30

Tree Trimmers USA 53 Tri-State Roo ng 48

Triple M Brick Pavers ....................... 51 Window Replacement Group ........... 41 Window World of West Palm Beach 20

Windowz and More .......................... 39

Yard Lites ......................................... 36 Younique Custom Theater 42

Alpaca Audiology 30

Angelo G Forte ................................. 52

Appearance Implant and Family Dentistry 47

Dentistry By Design ......................... 40

Dr. Samuel Holcroft 25

Goals Weight Loss............................45

Habashy Dental.................................. 7

Jupiter Hair Center 20

MMJ Health ..................................... 12

New Beginnings Medical 27 Stretch Zone 31

PROFESSIONAL SERVICES

All Dry USA ........................................ 2

ASAP Dryer Vent Cleaning................28

Dryer Vent Cleaner, The 59

Group One Security .......................... 49

Momma B’s Monograms 42

Mr. Tint of America ........................... 36

Ratman Wildlife Rodent ................... 50 Solution One Inspectors 46

REAL ESTATE

Point Claims ..........................
M and J Jewelers ............................
Oteri’s Wholesale Jewelry ...............
MEDICAL & HEALTH Abacoa Podiatry............................... 11
INSURANCE & BENEFITS Ocean
56 JEWELRY
42
14
Ana Vega 14
.................
.........................
Volume 558 January 2023 For advertising rates and information Email: sales@mediaoms.com Call 772-247-6849 © 2022 by My Living Media. All rights reserved. Although some parts of this publication may be reproduced and reprinted, we require that prior permission be obtained in writing. My Living Magazine is a free publication distributed locally and is supported by our advertisers. Please call to find a location near you or if you would like copies placed at your business. We do not necessarily endorse the views expressed in the articles and advertisements, nor are we responsible for the products, and services advertised. We are not responsible for licensing or certifying businesses, nor are we responsible for verification of these requirements. We welcome your ideas, articles and feedback. *Dining pictures shown are for illustration purposes only. Actual products may vary due to product enhancement.
RETAIL Alfredo Barraza Boutique
50 Prestige Pawn.................................. 26 The Lamp Connection 27 The Summer House
37 Village Bootery 16 Yankee Peddler Market 17
HURRICANE IMPACT WINDOW SALE OF THE TREASURE COAST Visit Our Showroom Location - 2820 SE Monroe St., Stuart LIC#CGC009090 EcoViewWindows.com/Treasure-Coast 772-758-8640 $760 FREE INSTALLATION ANY SIZE Call Today For A FREE Estimate LOWEST PRICE GUARANTEED! UNDER 101 UI LEAD TIME 4-6 Weeks Installed
VOL. 558 N 11 Copyrighted© My Living Media. 2023 All Rights reserved. To Advertise call 772-247-6849 Need More Coupons - MyLivingMedia.com FAMILY OWNED & OPERATED • SCHEDULE ONLINE TODAY AT: WWW.STANLEYSTEEMER.COM FIRE, WATER, & MOLD DAMAGE RESTORATION SERVICE Immediate Response 24-HOUR EMERGENCY Minimum charges apply. Cannot combined with other offers. Residential and Commercial. Must present this MLM Coupon at time of service. Valid at participating locations only. Certain restrictions may apply. Call for details. Lic. #CMC014066 561-404-5668 WWW.STANLEYSTEEMER.COM STANLEY STEEMER SERVICES ® FREE ESTIMATES FOR ALL COMMERCIAL BUSINESSES WE PRETREAT YOUR FLOORS AND MOVE YOUR FURNITURE AT NO CHARGE WE PRETREAT YOUR FLOORS AND MOVE YOUR FURNITURE AT NO CHARGE $99 $129 Expires 1/31/23 MLM Expires 1/31/23 MLM TILE & GROUT OR WOOD FLOOR CLEANING Only PER ROOM 3 ROOMS CARPET CLEANING Wool carpets extra. Area rugs not included in wall-towall cleaning. *Any Room Up to 300 sq. ft. Home & Of ce Air Puri er Removes Viruses, Bacteria, Mold, & Pollen MARBLE & STONE CLEANING 50% OFF Expires 1/31/23 With MLM Coupon Proud to be Endorsed by Cystic Fibrosis Foundation $160 Expires 1/31/23 MLM HOME Which Air Are You Breathing? AIR DUCT CLEANING Up To 8 Vents BEFORE AFTER OFFICE FREE ESTIMATES CALL TODAY COMMERCIAL & RESIDENTAL 561.468.8230 THE PATIENT AND ANY OTHER PERSON RESPONSIBLE FOR PAYMENT HAS A RIGHT TO REFUSE TO PAY, CANCEL PAYMENT, OR BE REIMBURSED FOR PAYMENT FOR ANY OTHER SERVICE, EXAMINATION, OR TREATMENT THAT IS PERFORMED AS A RESULT OF AND WITHIN 72 HOURS OF RESPONDING TO THE ADVERTISEMENT FOR THE FREE, DISCOUNTED FEE, OR REDUCED FEE SERVICE, EXAMINATION, OR TREATMENT. SCAN FOR WEBSITE & SERVICES We accept most major insurance plans & Medicare 4601 Military Trail #202, Jupiter HOURS MONDAY-FRIDAY 8:30AM-5:00PM FOOT, ANKLE, OR VEIN ISSUES? WE CAN HELP! Rel … DR. ORLANDO CEDENO DPM Podiatrist Foot & Ankle Surgeon Located in Jupiter, FL $100 OFF SCLERO VEIN THERAPY With this MLM coupon. Expires 1/31/23 • Foot Ankle Surgery • Bunion Surgery • Cysts & Warts • Fractures & Breaks • Ankle Arthritis • Diabetic Foot Conditions • Minimally Invasive Foot Surgery • Hammer Toe • Ingrown Toe Nails • Varicose Veins Treatment • Neuropathy Solutions • Wound Care • Nerve Decompression in Foot BEFORE AFTER Bunionectomy® & Hammer Digit Minimal Pain…Minimal Incisions…Impressive Results
12 VOL. 558 N Copyrighted© My Living Media. 2023 All Rights reserved. To Advertise call 772-247-6849 Palm Beach 561-631-7994 MMJ Health Make the Appointment Use our patient qualification system to see if you qualify for medical marijuana. See the Marijuana Doctor See one of our qualified physicians at one of our many locations in Florida. Get Your Card You will be able to visit and get delivery from any dispensary in Florida. Let Dr. Morgan, The Highest Rated MMJ Doctor, at MMJ Health find your Alternative to Pharmaceuticals! Anne L. Morgan, M.D. When it comes to finding medical marijuana (MMJ) doctors, you can trust the helpful and professional staff at MMJ Health. Serving patients in Palm Beach, Martin, & St. Lucie Counties. Call MMJ Health to schedule an appointment with a Florida Medical Marijuana Doctor: WINNER OF BEST DISPENSARY, BEST MEDICAL MARIJUANA CARD PROVIDER, BEST CBD STORE, AND FINALIST FOR BEST PLACE TO WORK HOW IT WORKS Treasure Coast 772-212-4032
VOL. 558 N 13 Copyrighted© My Living Media. 2023 All Rights reserved. To Advertise call 772-247-6849 Need More Coupons - MyLivingMedia.com 561-485-1998 We Help Organize Your Space ALL CUSTOM: Closets • Home O ces • Entertainment Centers Garages • Commercial Spaces MADE IN BOCA RATON WWW.JLCLOSETS.COM 160 NW 16th St., Boca Raton FL 33432 Lic. #CGC1525776 Trust our customers 4.7 Stars on Google Save Up To $ 600 OFF Beautifully Custom Designed • Closets, Garage & Pantry • Home & Commercial Offices LIMITED TIME OFFER Minimum Order of $6,000 Must be placed before 3/1/2023 Coupon must be presented at time of estimate. Cannot be combined with any other offers or discounts. Starting At Just $995 Installed
14 VOL. 558 N Copyrighted© My Living Media. 2023 All Rights reserved. To Advertise call 772-247-6849 Need More Coupons - MyLivingMedia.com Located at: 651 W. Indiantown Rd., Jupiter • 561-746-2345 FREE Cleaning 50% Off Any Watch Battery 20% Off Any Repair MLM Coupon expires 1/31/23MLM Coupon expires 1/31/23MLM Coupon expires 1/31/23
New A/C Install Brush Duct Cleaning WINTER A/C Tune Up Complete Home Package A/C Coil Cleaning Hablamos Español qualityairofamerica.com A/C NOT COOLING? LEAKING? FREE SERVICE CALL 100% Financing Available $0 Down $0 Interest Lic. # CAC 1820202 561-819-2998 772-448-9835 Super Service Award Winner 3 Years in a Row WITH ANY REPAIR Authorized dealer/service for all major brands REPAIR, REPLACE, OR DUCT CLEANING 10% Discount for expecting mothers, military, & senior citizens Do not be fooled by imitations. There is only one Quality Air of America. Starting at $2199 ✓ Free digital thermostat ✓ Free 5-Year Service Plan ✓ Free air duct treament Payments as low as $69/month ✓ 24-point AC inspection ✓ Adjust Freon Up to 1lb (R410) ✓ Basic Drain Line Cleaning ✓ Duct Camera Inspection ✓ FREE Attic Insulation Inspection ✓ FREE Duct Inspection ✓ Air Duct Vacuum Cleaning ✓ Vacuum through Main Vent Line ✓ Duct Camera Inspection ✓ Air Quality and Flow Check ✓ Attic Installation Inspection ✓ AC inspection and adjust Freon up to 1 pound (R410) ✓ Free Air Filter- delivered after visit Value $225 Expires 2/3/23 Value $195 Expires 2/3/23 Value $365 Expires 2/3/23 Value $365 Expires 2/3/23 Only $99 Only $19 Only $65 Starting At $199 DUSTY DUCTS, BAD ODOR FREE ESTIMATES Emergency Servicee Per Unit SPECIAL DUMB A/C? Let Us Make it Smart! Per Unit ✓ Up to 5 Vents Cleaned BLOW OUT SALE BLOW OUT SALE
16 VOL. 558 N Copyrighted© My Living Media. 2023 All Rights reserved. To Advertise call 772-247-6849 VILLAGE BOOTERY SHOE STORES 245 U.S. Highway One • Tequesta 2641 S.E. Ocean Blvd. • Stuart $10 OFF Your next Village Bootery purchase Expires 1/22/23. Discount not available on sales merchandise. METAL ROOFS just got MORE AFFORDABLE! • METAL ROOFING • TILE ROOFING • SHINGLE ROOFING Financing Available Satisfaction Guaranteed! Call Today (772) 291-1427 Lic. No. CCC1327906 FREE ESTIMATES $500 OFF Call Today! ANY ROOF REPLACEMENT Must present coupon at time of estimate for discount. Exp. 1/31/23 WHOLESALE FENCING INSTALLATIONS & REPAIRS HOME OF THE LOWEST PRICE GUARANTEE Honest, Trustworthy, Hassle-Free Service From A Family-Owned Business FREE GATE WITH PURCHASE OF EVERY 150 FT. OF FENCING. UP TO A $450 VALUE FENCING SOUTH FLORIDA 561-612-2018 With this MLM coupon. Not valid with any other offer or prior purchases. Offer expires 2/3/23 PVC/VINYL FENCING CHAIN LINK FENCING “We guarantee to beat any price you have from any legitimate fence company” Licensed &Insured Broward 11-F-17403-X Palm Beach U-21752 WWW.FENCINGSOUTHFLORIDA.COM OFFICE 561-612-2018 SERVING BROWARD & PALM BEACH FREE REMOVAL OF EXISTING FENCE WITH PURCHASE OF NEW FENCING NO MINIMUM REQUIRED (excludes hurricane damaged fencing) FENCING SOUTH FLORIDA 561-612-2018 With this MLM coupon. Not valid with any other offer or prior purchases. Offer expires 2/3/23 Visit our website to see our episode on Designing Spaces NOW INTRODUCING OUR NEW ART DIVISION Custom Metal Works in Any Shape and Style added to your fence, gates, entry door, and interior or exterior house walls WOOD FENCING ALUMINUM FENCING WE DO IT RIGHT THE FIRST TIME FOR LESS.
12174 US-1 · NORTH PALM BEACH 561-556-6022 MON-FRI 8AM-6PM · SAT 8AM-5PM · SUN 10AM-3PM ANY PURCHASE OF $25 OR MORE ANY PURCHASE OF $50 OR MORE With this MLM coupon. Expires 1/27/23 With this MLM coupon. Expires 1/27/23 FRESH DAILY LOCAL $5 OFF $10 OFF
18 VOL. 558 N Copyrighted© My Living Media. 2023 All Rights reserved. To Advertise call 772-247-6849 Need More Coupons - MyLivingMedia.com 132 NE Dixie Hwy., Stuart, FL 34994 Licensed & Insured State Certi ed License #CCC024411 Serving Martin & Palm Beach Counties for Over 30 Years! “You’ve tried the rest…now call the Best!” Re-Roof & Repair Specialists METAL ROOFS Starting At Starting At $17,500 TILE ROOFS (Minimum 3500 Sq Ft of Roof) $24,500 (Minimum 3500 Sq Ft of Roof) 772-692-9854 Re-roofs • Repairs • New Construction • Cement & Clay Tile Fiberglass Shingles • Wood Shakes • 5-V & Standing Seam Metal Built-up Modi ed Rubber • Residential & Commercial 25- to 50-Year Material Warranty Available 5- to 10-Year Labor Warranty Available Martin County’s Trusted Name Since 1980! Jupiter Sod & Landscaping 561.768.1337 561.747.7856 FREE ESTIMATES FLORATAM • BAHIA • PALMETTO • BERMUDA Sod Removal & Installation 13049 W. Indiantown Rd. • Jupiter LANDSCAPE DESIGN ROCKS & MULCH PRODUCE HARDSCAPING Over 40 Years of Experience 1st Pallet 10% OFF With this OMS coupon. Expires 1/21/23 CUSTOM CLOSETS AND SHOWERS DOORS Licenced Contractor #MCN56662 #SCC131152195 561-810-1305 | www.coastalclosetsandshowers.com Visit our factory showroom at 4483 SE Commerce Ave, Stuart, FL 34997 Up to $300 off your new Custom Closet* Lifetime Warranty & FREE Glass Protection on your Custom Glass Shower *purchase of $2500 or more necessary. New Year. New Home Solutions. closet | office garage | wall bed wall units shower doors glass wine rooms store front glass Offers valid until January 31st, 2023. Coupon must be presented at time of consultation.
Need More Coupons - MyLivingMedia.com WITH THIS MLM COUPON. OFFER EXPIRES 01/31/23 Offer Valid for Same-Day Service Only FREE IN-HOME ESTIMATE 30% OFF – PLUS –™ YOUR BEAUTIFUL NEW FLOORING IS JUST A CALL AWAY! 772-277-7562 561-277-0375 OXFLOORS.COM WE TAKE THE BORING OUT OF YOUR FLOORING!TM 10X STRONGER BOND THAN EPOXY Garages Patios Pool Decks Driveways & Much MORE! New Years! BLOWOUT SALE!
20 VOL. 558 N Copyrighted© My Living Media. 2023 All Rights reserved. To Advertise call 772-247-6849 Need More Coupons - MyLivingMedia.com $600 ON WINDOWS $500 ON DOORS Receive up to $1100 IN TAX CREDITS* WINDOWS • ENTRY DOORS • PATIO DOORS • INSULATED SIDING • SHUTTERS • TRIM “Not only do we stand behind our windows... we stand on them!”® - Dennis Burdge For J.D. Power 2022 award information, visit jdpower.com/awards Highest in Customer Satisfaction Among Window & Patio Door Retailers Lifetime Limited Warranty Guaranteed Low Pricing INTEREST 0% 15 MONTHS1 LIMITED TIME ONLY! IMPACT WINDOWS STARTING AT Hurricane Impact White Vinyl Double Hung Insulated Window $599 COMPARE AT $1,000 This Window World® franchise is independently owned and operated by West Palm Windows and Doors LLC d/b/a Window World of West Palm Beach under license from Window World Inc. Fully licensed & insured. License No. CGC1514205 Previous sales are excluded and o ers cannot be combined. 1No interest if paid in full within 15 months with regular monthly payments. Bank approval needed. Must qualify. Ask for details. *Select products only. Ask for details. For more information, consult your tax advisor or visit EnergyStar.gov. 3927 Westgate Ave., West Palm Beach, FL 561-291-7578 WindowWorldOfWestPalmBeach.com Non-Surgical Hair Replacement MEN, WOMEN, & CHILDREN for • Men’s Systems • Women’s Systems • Wigs & Maintenance • Toppers • Extensions • Epigenetic Testing Restore Your Con dence Complimentary Consultation in A Private Setting 4050 S. US Hwy 1, Suite 317, Jupiter • 561-725-5170 jupiterhaircenter.com 20% $99 $99 Off ANY HAIR SYSTEM EXTENSIONS INSTALLATION EPIGENETIC TESTING New Clients Only. WITH THIS MLM COUPON. New Clients Only. WITH THIS MLM COUPON. New Clients Only. WITH THIS MLM COUPON. Find Out the Cause of Hair Loss 1-833-ACE-CART(223-2278) Aceofcarts.com Ace of Carts 4880 SE Federal Hwy., Stuart • 2nd Location 552 US Hwy. 1 North, Tequesta Must be a 2022 Model Year Club Car from dealer stock. Offer Valid through January 31, 2023 or while supplies last. Financing is available with standard rates. Not eligible for 0% Financing promotion; offers do not combine. Promo code:MLM822 Over 200 Brand New Club Cars in stock! $1,000 in FREE Accessories, FREE Delivery Destination, & Setup Charges. REGISTER ONLINE TO GET https://aceofcarts.com/red-tag/ SALES• SERVICE • PARTS Now Open in Tequesta! AUTHORIZED DEALER CARTS IN STOCK & READY FOR DELIVERY
VOL. 558 N 21 Copyrighted© My Living Media. 2023 All Rights reserved. To Advertise call 772-247-6849 Need More Coupons - MyLivingMedia.com SIMPLE • HEALTHY • FRESH! 1155 MAIN ST #112 JUPITER 561-557-3949 SCAN FOR MENU On Any Boba Teas FREE Buy 1 Tea, Get 1 Expires 1/22/23 • Build Your Own Poke Bowl • Boba Teas • Japanese Desserts Located at Downtown Abacoa 3755 Military Trail Suite B8 Jupiter • www.benedittis.com 561-250-6523 Mon.- Thur: 11am - 8pm Fri. & Sat: 11am-9pm • Sunday 12pm-9pm BEST PIZZA IN TOWN DINE-IN TAKE-OUT DELIVERY 2 LARGE CHEESE PIZZAS WITH ONE TOPPING MON-WED CASH SPECIAL LARGE CHEESE PIZZA 1 LARGE CHEESE PIZZA AND 10 WINGS $2999 $2599 Must present MLM coupon. Cannot be combined with other offers. Dine in, Take out, or Delivery Expires 1/31/23 Must present MLM coupon. Cannot be combined with other offers. Dine in, Take out, or Delivery Expires 1/31/23 Must present MLM coupon. Cannot be combined with other offers. Dine in, Take out, or Delivery Expires 1/31/23 $1249 Pickup Only
22 VOL. 558 N Copyrighted© My Living Media. 2023 All Rights reserved. To Advertise call 772-247-6849 Need More Coupons - MyLivingMedia.com CELEBRATION CAKES! AND OTHER BAKED GOODS... THEY’RE DIVINE! Custom Let us make your occasion divine 561-783-5640 SCAN HERE TO VISIT OUR INSTAGRAM $ 50 OFF CUSTOM CAKES STARTING AT $450 With this MLM coupon. Expires 1/20/23 • Wedding Cakes • Birthday Cakes • Jamaican Fruit Cake • Cake Pops • Cupcakes • Over 13 Cake Flavors • Over 12 Fillings • Over 12 Frosting Flavors HAPPY HOUR 3-6 PM Daily WINE DOWN WEDNESDAY 50% OFF All Wines by the Glass & Bottle ALL DAY!! FREE Bottle of Wine with $50 Purchase $25 3-Course Menu $58-$60 Family Meals to Go (Temporary hours: 3-9 pm) INDOOR/OUTDOOR Social Distance Dining Available TAKEOUT • CURBSIDE PICKUP FREE DELIVERY (with $20 or more within 5 miles) ORDER ONLINE 561.444.3345 MONDAY & TUESDAY LARGE CHEESE PIZZA $10 Pick Up Only Cash Only With this MLM coupon. Not valid with any other offers. Expires 1/31/23 WEDNESDAY BUY 2-TOPPING PIZZA GET ONE LARGE CHEESE PIZZA  Pick Up Only & Delivery Only With this MLM coupon. Not valid with any other offers. Expires 1/31/23 FREE 12100 Hwy., US-1 Ste A • North Palm Beach www.TiramisuPizzeria.com • Like & Follow Us! AUTHENTIC THAI FOOD THAI WEST LUNCH · DINNER · SMOOTHIES · ICE CREAM · COFFEE · BAKERY Now Open in Jupiter Farms! SCAN FOR MENU 9260 W. INDIANTOWN RD. #B4 • JUPITER (SIERRA SQUARE PLAZA) 561-842-9378 Call for more details 772-334-2121 Looking to fill some EMPTY TABLES ? We Can Help ! MyLiving Magazines
VOL. 558 N 23 Copyrighted© My Living Media. 2023 All Rights reserved. To Advertise call 772-247-6849 Need More Coupons - MyLivingMedia.com “The best restaurant I’ve ever been to, the food is amazing.” –Nina Charles 15% OFF ENTIRE MENU • Award-Winning Sweet-Heat Marinara • 1.5 Years in Business • Close to 700 reviews and 99% of them are ★★★★★ • Owners are (2) Italians and (1) Irishman from New York 7100 Fairway Drive, Suite 52 Palm Beach Gardens Must present this coupon to your server. Not valid on tax or gratuity. Cannot be combined with other offers. One coupon per table per visit. Expires 1/31/23. From our fresh seafood, grilled steaks and house-made pastas, our dishes are sure to satisfy. See for yourself and join us for lunch or dinner today! The Gardens Mall / 3101 / PGA Boulevard / Palm Beach Gardens 561.622.0491 THE PERFECT DINNER FROM ROMANTIC ITALY Call Today To Make A Reservation! To Go/Curbside/Delivery Available The Perfect Start to Any Meal FREE APPETIZER! Enjoy One FREE Appetizer with the Purchase of Two Entrees* Must purchase two entrees at full price to receive free appetizer. Dine in only. May not be combined with any other offers or discounts. Present coupon to redeem offer. Dine In Only! Expires 1/31/23 Sun -Thurs: 11am - 9 pm Fri -Sat: 11 am -10 pm www.brioitalian.com JOIN US FOR OUR FAMOUS HAPPY HOUR MONFRI 3PM  6PM
24 VOL. 558 N Copyrighted© My Living Media. 2023 All Rights reserved. To Advertise call 772-247-6849 Need More Coupons - MyLivingMedia.com A SUB ABOVE ® *of equal or lesser value BUY 2 GIANT SUBS, GET 3rd GIANT FOR $1.99 PROMO CODE JFLRDA10 PROMO CODE JFLRDA27 PROMO CODE JFLRDA51 71 East Indiantown Rd. • Jupiter , FL • 561-677-2077 jerseymikes.com BUY ANY REGULAR SUB & (2) 22 oz. FOUNTAIN DRINKS, GET A 2nd REGULAR FREE! *of equal or lesser value 20% OFF YOUR ENTIRE ORDER! CONCOURSE VILLAGE PLAZA 71 E Indiantown Rd. Suite 801 Jupiter • 561-677-2077 OVER 2,000 STORES OPEN AND IN DEVELOPMENT NATIONWIDE! • JERSEYMIKES.COM TWO LOCATIONS CHASEWOOD PLAZA 6390 W Indiantown Rd. Suite 34 Jupiter • 561-747-7272 Hurry! Offer expires 1/31/23. One per person per visit per day. Not to be combined with other offers. No cash value. Coupon redeemable in person. Offers with promo codes may also be redeemed in our app. 2310 Hurry! Offer expires 1/31/23. One per person per visit per day. Not to be combined with other offers. No cash value. Coupon redeemable in person. Offers with promo codes may also be redeemed in our app. 2327 Hurry! Offer expires 1/31/23. One per person per visit per day. Not to be combined with other offers. No cash value. Coupon redeemable in person. Offers with promo codes may also be redeemed in our app. 2351 VALID AT BOTH LOCATIONS. VALID AT BOTH LOCATIONS. VALID AT BOTH LOCATIONS. www.TheGroveHobeSound.com @THEGROVEHOBESOUND 8815 se bridge road 772.402.5410 Locally Owned & Operated Classes Hosted by Owners, Jen & Luis Reyneri Certified Sommeliers workshops complimentary for VIP wine grove club members Ask us how to join the club! $50 per person, per class Includes 6 wines & light bites 2023 Wine Workshops save the dates • Saturdays 3-4 January 14 february 11 march 11- BIG Rosé tasting April 8 may 13 June 10- BIG summer tasting July 8 august 12 September 9- big fall tasting October 14 November 11 December 5- BIG tasting
2560 RCA Blvd. Suite 101 • PBG • 33410 • www.pbgdentist.com The patient and any other person responsible for payment have the right to refuse to pay, cancel payment, or be reimbursed for any other services, examination, or treatment which is performed as a result of and within 72 hours of responding to the advertisement for the free service, examination, or treatment. Samuel J. Holcroft D.M.D., P.A. SERVICES INCLUDE Samuel J. Holcroft Family & Cosmetic Dentistry Please Mention Code OMS for discounted prices when booking. WHAT SETS US APART • 0% Financing Thru Care Credit. O.A.C. • Most Dental Insurance Plans Accepted • Adults & Children • Nitrous Oxide Gas & Oral Sedation if Desired • Partials & Dentures • Root Canals • Grinding Guards • Extractions • Digital X-Rays • Routine & Deep Cleanings • Tooth-Colored Fillings & Bondings • Crowns & Veneers • Implants & ImplantSupported Bridges A $400 VALUE. FOR NEW PATIENTS ONLY. May not be used with any other coupon. For best results should be used within 3 months of last cleaning. Expires 1/31/23 EMERGENCY PATIENT SPECIAL TOOTHACHE? $50 With this MLM coupon. Please mention this ad when calling for appointment. Cannot be combined with any other offer. Expires 1/31/23 Including X-Ray (D0220) and Exam (D0140) $200 TEETH WHITENING NEW PATIENT SPECIAL $79 With this MLM coupon. Please mention this ad when calling for appointment. Cannot be combined with any other offer. Expires 1/31/23 Including FMX (DO210), EXAM (D0150) & CLEANING (D1110) Is your dentist open on Friday and Saturday? We are! NOW OPEN FRIDAYS & SATURDAYS! 561-622-5600 MENTION CODE SMILE TO BOOK YOUR APPOINTMENT
26 VOL. 558 N Copyrighted© My Living Media. 2023 All Rights reserved. To Advertise call 772-247-6849 Need More Coupons - MyLivingMedia.com …not your typical pawn shop! FREE 30% Off 561-575-5656 20% Off FREE Cleaning & Evaluation 360 W Indiantown Rd | JUPITER Certified Diamond Rings & Jewelry UP TO Cleaning Cloth with purchase of any jewelry over $300 Designer Handbags *Most Jewelry Pieces. Expires 1/31/23 Expires 1/31/23 *Exclusions May Apply. Expires 1/31/23 Expires 1/31/23 Get a Complete Detail at Full Price & Receive a Full Detail at no charge on the Second Vehicle Sign Up with any Membership SAILBOAT OR HIGHER & RECEIVE 2ND CAR AT NO CHARGE FOR FIRST 3 MONTHS OR 1/2 OFF 1ST CAR FOR FIRST 3 MONTHS. 11370 US-1 NORTH PALM BEACH 5616009281 Come Visit Our Newly Remodeled Store & Indoor Customer Waiting Area AC, TV, ATM, Cold Beverages & Snacks The New Pelican Car Wash $39.99 NEW OWNERS! NEW EQUIPMENT /pelican_car_wash /PelicanAutoWash ALL Prices Subject to change. Prices Will Vary Due to Size & Condition of Your Vehicle COMPLETE DETAIL BOGO MEMBERSHIP SPECIAL UNLIMITED MEMBERSHIP EXPRESS WAX SPECIAL Regular Detail Price Starting at $150.00 Expires 2/3/23. Pelican Car Wash. Expires 2/3/23. Pelican Car Wash. Expires 2/3/23. Pelican Car Wash. Men’s Day Every Tuesday Women’s Day STARTING AT ON COMPLETE DETAIL ONLY (Second Vehicle is of Lesser Cost) Prices Will Vary Due to Size & Condition of Your Vehicle Get Your Next Wash On Us & Get a Platinum Yacht Wash, a $35 Value at NO CHARGE!
VOL. 558 N 27 Copyrighted© My Living Media. 2023 All Rights reserved. To Advertise call 772-247-6849 Need More Coupons - MyLivingMedia.com • Expert Lamp Repair & Restoration • Bring In Your Lamp For A Proper Fit! Best Selection of Lampshades in Florida! ANY SHADE IN THE STORE Expiration 1/31/23 $10 OFF $39.00 and Up 772.221.0222 Cedar Pointe Plaza 2461 SE Ocean Blvd. Stuart, FL 34996 Custom-Made Lamps & Shades ... Bring Your Lamp for a Proper Fit! *TeleHCG.com or *NewBeginningsMedical.com Simple 3 Step Process Video Or Phone Dr. Consultation Go Online to* Delivered To Your Residence From A USA Pharmacy FREE Our 3 Most Popular Weight Loss Products HCG Human Chorionic Gonadotropin Quick Weight Loss 30-50 Day Program Loss Up to 1Lb. Day 25-40Lbs. Yes Light Required Daily Injection Included $495 - 30 Day Diet $695 - 40 Day Diet BELLA FDA Approved Phentermine Gradual Weight Loss 30 Day Program Appetite Suppressant Variable Weight Loss No Moderate Required Daily Pill Fee Initial Order Only $179 Monthly SEMAGLUTIDE FDA Approved for Weight Loss Long-Term Weight Loss Monthly Program Avg Weight Loss 53Lbs. Over 68 Weeks No Moderate Required Weekly Injection Included $350 Monthly Diet Exercise Prescription Dosage Dr. Consultation Pricing Need Help Deciding Which Is Best For You? Call now and experience a truly personal approach to Weight Loss CALL US (877) 424-9994
28 VOL. 558 N Copyrighted© My Living Media. 2023 All Rights reserved. To Advertise call 772-247-6849 Need More Coupons - MyLivingMedia.com ASK ABOUT OUR HOMETOWN HERO DISCOUNT 561.370.3624 16571 Rembrandt Rd., Loxahatchee OdumsSod.com Now Hiring! CDL Driver Needed! SOD • ROCK • MULCH • SOIL • TREES • PLANTS NOW HIRING CALL TODAY! Experienced Electricians $50 OFF ANY JOB OVER $500 Cannot be combined with other discounts or offers. With this MLM coupon. Expires 2/3/23 Need An Electrician? FREE ESTIMATES Lic # EC13007910 561.331.LINT (5468) thelintmandryerventcleaning.com ✔ Dryer Vent Cleaning ✔ Dryer and Washer Installation ✔ Residential Services ✔ Commercial Services ✔ Rodent Guard Installation DRYER VENT CLEANING WHEN WAS YOUR DRYER VENT LAST CLEANED? • Speeds Up Drying Time • Reduces Fire Risk • Lowers Utility Costs (more ef cient) • Don’t Wait Until It’s Too Late With over 15,000 dryer res happening each year, IT MAKES SENSE! Licensed & Insured Neighbors Discount Special *Washer & Dryer Repair Service *Some restrictions may apply. With this MLM coupon. Must present coupon at time of service. Expires 1/20/23 Any Dryer Vent Cleaning Service $99 starting at
VOL. 558 N 29 Copyrighted© My Living Media. 2023 All Rights reserved. To Advertise call 772-247-6849 $1995 First Month UNLIMITED INSIDE & OUT WASHES SAVE $25 You get unlimited hand washes AND wheels, cleaned, sealer wax, tires shined, dash and jams wiped, vacuum, windows blown dry and hand nished, all Unlimited. Reg. $44.95. Credit Card Required. New customers only. Some large, raised and commercial vehicles excluded from club. Download our mobile app required to redeem offer. Cannot be combined with any other offers With MLM coupon. Expires 1/31/23 561-WASH-ME-2 100% HAND WASH! Jupiter-6812 W. Indiantown Rd. (Next to McDonalds) Tequesta-1625 N Old Dixie Highway (Next to Pinder’s Seafood) Gardens-4109 Northlake Blvd. (BP at Northlake & I-95) WPB-2405 Okeechobee Blvd. (Formerly Top Hat Car Wash) Wellington-4213 S. State Road 7 (Lake Worth Rd & 441 in Chevron) Gardens-12194 Alternate A1A (1/4 Mile S. of Hood Rd., Next to Chevron) Gardens-9730 Alternate A1A (Formerly Starbrite Carwash @ Sunoco) SAVE (Reg $25/$29/$40) With MLM coupon. Cannot combine discounts. All Prices subject to size/condition of vehicle. Download our mobile app required to redeem offer. Expires 1/31/23 Download our App for great savings around town “Wash Club” www.UnlimitedAutoWashClub.com ★ Up to (96 Hour) Rain Guarantee ★ Monday is Men’s Day ★ Wednesday is Ladies’ Day ★ Thursday is Senior’s Day $3599 Express Hand Wax 30 Minute Service Price subject to change based on condition/size of vehicle. Includes Popular Wheel Deal Wash Package. Valid at all 7 locations. With MLM coupon. Cannot combine discounts. Download our mobile app required to redeem offer. Expires 1/31/23 (Reg $44.99) Our Top 3 Wash Packages $5 Complete Detail Inside & Out Price Subject to Change Based on Condition/Size of Vehicle. With MLM coupon. Valid at ALL 7 locations only. Not valid with other offers. Download our mobile app required to redeem offer. Expires 1/31/23 $11999 (Reg $149.99) LET US SANITIZE YOUR CAR! Mon-Sat 8:00AM-6:00PM Sun. 9:00AM-5:00PM
Copyrighted© My Living Media. 2023 All Rights reserved. To Advertise call 772-247-6849 Need More Coupons - MyLivingMedia.com FREE CONSULTATION 10% OFF 561.855.6595 Let Us Make Your Dream A Reality! LIC# CGC1525942 825 15th Street Lake Park • Custom Cabinets • Closets • Kitchens • Bathrooms • Doors & Windows • Custom Millwork Any Remodeling Job. Must Book Before 1/31/23 Total Ima g e With this MLM coupon Our Jupiter location is centrally located and We welcome you to meet Gabrielle Poplarchick, Jupiter’s One-Stop Shop For Your Hearing Needs! Schedule an appointment for you or a loved one: 2161B S. US Highway 1

Every 5,000 miles, like clockwork, you take your car to get its oil changed and tires rotated. It’s basic, routine maintenance, but that consistent attention and upkeep is vital for your vehicle to run e ciently, especially over a number of years. Your body, much like your vehicle, requires regular care and treatment to keep it healthy. And, again like your automobile, your body needs support from someone other than yourself, a professional who can guide it to achieving its utmost abilities and to retaining its peak performance.

Getting older, playing sports, or having a condition like sciatica or arthritis shouldn’t hold you back from living your life! You can feel like your younger self again, the one who didn’t feel any aches or pains when walking, running, jumping, or even sitting… all you have to do is visit Stretch Zone.

Drew Brees, former quarterback of the New Orleans Saints, is the newest partner at Stretch Zone who advocates for people to regularly get stretched. A er personally going to Stretch Zone for an assisted stretching session, Drew was impressed with the uniquely e ective and nationally accredited Stretch Zone Method®, which is administered by a highly-trained and Stretch Zone-certi ed stretch practitioner.

Here’s How It Works:

1.) Your rst session begins with lling out an intake form and having a consultation with your experienced and knowledgeable stretch practitioner. Based on your medical background and your personal goals, the stretch practitioner will personalize the ensuing 30-minute assisted stretching session to meet your individual needs. On subsequent visits, you’ll simply do a check-in with the practitioner to update

your medical pro le with any recent changes and/or any new pain or discomfort that you might be experiencing.

2.) e stretch practitioner initiates the rst steps of the approved Stretch Zone Method®, utilizing Stretch Zone’s special patented straps to encourage your body to relax and ease into the stretches. You won’t nd these straps anywhere else! Comparable to a thunder jacket for your pets, they are meant to calm your mind so that your entire body is perfectly loose, thus allowing the stretch practitioner to stretch your body to its full potential and, as a result, provide you with both preventative maintenance and pain relief.

3.) Assisted stretching (a/k/a passive stretching) is di erent from physical therapy in that your body is being stretched by someone else, you’re not actually doing any work. roughout your 30-minute session, the stretch practitioner will be steadily interacting one-on-one with you, ensuring that you are completely comfortable and not experiencing any pain. Ultimately, you are in control of the stretch, even as your practitioner guides your body

through each and every step, because you tell the practitioner when you feel your best stretching position. e more you communicate, the better results you’re going to get!

Take advantage of Stretch Zone’s incredible New Year Special: get one FREE 30-minute stretching session! Anybody and everybody can and should be stretched. In fact, one Stretch Practitioner I spoke with at Stretch Zone says, “98% of the people I see in front of me really need to be stretched. is is something you should not live without.” Remember, it’s just like getting your oil changed! Plus, celebrities and professional athletes have been getting stretched for years, so it’s time for the general population to be clued into the secret!

Get Stretch Zone’s New Year Special for yourself or get them for a friend or loved one… what better way to say you care than to give the gi of making life easier, of feeling healthier, lighter, and younger, and of feeling like yourself again?

VOL. 558 N 31 Copyrighted© My Living Media. 2023 All Rights reserved. To Advertise call 772-247-6849
Coupons
MyLivingMedia.com StretchZone_0021-2521_MH558
Need More
-
JUPITER 6390 W Indiantown Road, Suite 4, Jupiter, FL 33458 561-529-2272 In the Chasewood Plaza PGA EAST 11940 US Hwy 1, Unit 145 Palm Beach Gardens, FL 33458 561-644-2970 In the Seminole Shoppes PGA WEST 6271 PGA Blvd., #209, Unit 145 Palm Beach Gardens, FL 33410 561-619-6029 In the Mirasol Plaza Stretch Your Way Into The New Year! STRETCH YOUR ACHES & PAINS! Get Your FREE 30 Minute Stretch With MLM Coupon Expires 1/31/23
32 VOL. 558 N Copyrighted© My Living Media. 2023 All Rights reserved. To Advertise call 772-247-6849 Need More Coupons - MyLivingMedia.com ENJOY YOUR ENCLOSURE Licensed & Insured SCC131151738
VOL. 558 N 33 Copyrighted© My Living Media. 2023 All Rights reserved. To Advertise call 772-247-6849 Need More Coupons - MyLivingMedia.com 561-566-7230 • 772-758-7360 *Max Guard is not responsible for delays outside of its reasonable control, including but not limited to HOA and permitting approval or manufacturing delays. MAX GUARD provides impact-rated products, engineering, and installation services by CONVERTING your “existing” screened (or open) patio to an enclosed livable room by installing hurricane-rated windows and doors. (Our converted patio enclosures require that customer’s existing patio has a roof and a oor/slab.) SCAN TO SCHEDULE YOUR APPOINTMENT 24/7 365 DAYS A YEAR $169 AS LOW AS PER MONTH ★★★★★ RATED WINDOW COMPANY Double Savings Sale! DOUBLE YOUR FREE FINANCING! INTEREST-FREE FINANCING from 12 to 24 MONTHS! New orders only. Minimum purchase required. Offer not valid with any other offer, or previous job. Contractor is neither a broker or lender. Financing is provided by third party lenders unaffiliated with Contractor, under terms and conditions arranged directly between the customer and such lender, all subject to credit requirements and satisfactory completion of all documents. Any finance terms advertised are estimates only. Some restrictions apply. CALL NOW & WE’LL MATCH YOUR TAX CREDIT
34 VOL. 558 N Copyrighted© My Living Media. 2023 All Rights reserved. To Advertise call 772-247-6849 Licensed & Insured SCC131151738 Hurricane www.MaxGuardHurricane.com $169/month AS LOW AS ★★★★★ RATED WINDOW COMPANY • Energy Efficiency • Sound Reduction • Reduced Insurance Costs • Increased Property Value Double Savings SALE! DOUBLE YOUR FREE FINANCING! INTEREST-FREE FINANCING from 12 to 24 MONTHS!
VOL. 558 N 35 Copyrighted© My Living Media. 2023 All Rights reserved. To Advertise call 772-247-6849 FREE Quote! Call Today Windows 561-566-5629 772-932-5629 Scan to schedule your APPOINTMENT! New orders only. Minimum purchase required. Offer not valid with any other offer, or previous job. Contractor is neither a broker or lender. Financing is provided by third party lenders unaffiliated with Contractor, under terms and conditions arranged directly between the customer and such lender, all subject to credit requirements and satisfactory completion of all documents. Any finance terms advertised are estimates only. Some restrictions apply. CALL NOW & WE’LL MATCH YOUR TAX CREDIT
36 VOL. 558 N Copyrighted© My Living Media. 2023 All Rights reserved. To Advertise call 772-247-6849 Need More Coupons - MyLivingMedia.com • Residential • Commercial • Marine WINDOW TINTING NO AUTOMOBILES off $30 Any order over $100 Exp. 1/31/23 Over 40 Years of Experience www.mrtintofamerica.com BEFORE AFTER BEAUTYFI MEDICAL SPA 1132 W. INDIANTOWN RD. #204 • JUPITER 561-245-1588 $75OFF *60 units or more Exp. 1/31/23. Use code mgz22 Exp. 1/31/23. Use code mgz22 Exp. 1/31/23. Use code mgz22 YOUR BEST THIS HOLIDAY SEASON WITH GLOWING SKIN Look &Feel Holiday Specials! FREE Morpheus8 Skin Tightening Buy 2 sessions get the 3rd $100 OFF OR SCAN HERE TO VISIT OUR WEBSITE TUESDAY · 11AM-3PM SATURDAY · 10AM-3PM HOURS Reliable • Beautiful • Affordable 772-362-5487 www.YardLites.com Professional Design and Installation High-Quality, Low Voltage Landscape Lighting New Year Special With this MLM coupon. Cannot be combined with other offers. Expires 1/31/23 $55 OFF
The Salt, Sand, & Sea Classic & Timeless Furniture, Unique Coastal Lighting, Accessories, & Rugs Located in the YumYum Plaza 815 S. US Hwy. 1, Jupiter FL 561-781-3696 summerhousefurniture.com Mon.-Sat. 10am-6pm | Sun. 12:30pm-5pm Wishing You a Happy New Year! HOME FURNISHINGS INSPIRED BY
38 VOL. 558 N Copyrighted© My Living Media. 2023 All Rights reserved. To Advertise call 772-247-6849 Need More Coupons - MyLivingMedia.com Live 24/7 Answering PDSMartin.com Locally Owned & Operated Expires 1/31/23. Our proprietary springs will not rust or corrode and last up to 4 times longer! FREE OPENER For NEW Garage Door Regular $65000 CANNOT BE COMBINED WITH OTHER OFFERS. MUST PRESENT AT TIME OF SALE. DOES NOT APPLY TO PREVIOUS SALES. EXP 2/28/23 561-819-4530 • Lawn Grass • Batting Cages • Bocce Courts • HOA Playgrounds • Putting Greens • Pet Grass • Pool Areas • Paver Strips 7715 SW Ellipse Way, Stuart 772.494-2481 We look forward to exceeding your expectations in everything we do! NEW YEARS SPECIAL! See Our Work 15% off Your Synthetic Turf Putting Green
VOL. 558 N 39 Copyrighted© My Living Media. 2023 All Rights reserved. To Advertise call 772-247-6849 Need More Coupons - MyLivingMedia.comHURRICANE IMPACT WINDOWS & DOORS PROTECT WHAT’S PRECIOUS TO YOU! • Hurricane Protection • Home Security • Save on Energy Bills • Save on Insurance Costs • Increase Property Value • Noise Reduction Your Expert in Single Family Homes & Condos! “Our service & products are second to none!” The People’s Choice In Hurricane Protection! 561-336-6511 SAME DAY Appointments! AS LOW AS $120 MO. FINANCING Available! We Beat ALL Competitors’ Pricing CALL FOR DETAILS INSTALLATION & NO SALES TAX. EXP 1/31/23 License #CBC1264950 & INSURED Serving Palm Beach, Martin, & St. Lucie Counties 50% Off
40 VOL. 558 N Copyrighted© My Living Media. 2023 All Rights reserved. To Advertise call 772-247-6849 Need More Coupons - MyLivingMedia.com Fences • Gates • Railings • Wood • Chain Link • PVC • Aluminum ALLIED ALUMINUM & RAILING (Minimum of 100 ft) With this MLM coupon. Expires 1/31/23 $100 Off Keep What You Love Safe! Licensed & Insured License #U-17525 94-7491-FX MC1800195 CALL TODAY FOR YOUR FREE ESTIMATES! 561.232.2757 www.alliedaluminum.us Emergency Care Teeth Whitening Cosmetic Dentistry Same-Day Treatment Family Dentistry Always Accepting New Patients & Walk-Ins Ask About Our In-House Plan Hours: Mon - Fri 8:30AM-5:00PM 3889 Military Trail #102 Jupiter, FL 33458 561-861-2611 www.dbd .com NEW PATIENT SPECIAL $99 D0150 Exam D0210 X-Ray D1110 Cleaning in absence of periodontal disease D0330 Panoramic X-Ray Expires 01/20/23 SE HABLA ESPAÑOL Now Offering: FREE Whitening for new patients for a year!
VOL. 558 N 41 Copyrighted© My Living Media. 2023 All Rights reserved. To Advertise call 772-247-6849 561-468-7281 www.windowreplacementgroup.com SCC# 131152429 CBC# 1264555 Per Window Per Door $ 35 OFF $ 110 OFF Expires 1/31/23 Expires 1/31/23 IMPACT WINDOWS & DOORS The Group of Professionals You Can Trust! Energy Saving Enhance Home’s Appearance & Value Hurricane & Burglary Protection Reduce Insurance Cost Sound Reduction 0% PLUS! SALES TAX!
42 VOL. 558 N Copyrighted© My Living Media. 2023 All Rights reserved. To Advertise call 772-247-6849 Need More Coupons - MyLivingMedia.com email: mommabsmonograms@gmail.com mommabsmonograms.com With this MLM Coupon • Exp. 1/15/23 *SOME RESTRICTIONS APPLY PERSONALIZED UNIQUE GIFTS! MONOGRAMS BABIES • PETS • HOME • HOLIDAYS • TEAM SPIRIT • BIRTHDAYS 561-556-8200 Spend $25 and get a FREE PERSONALIZED MONOGRAM EXPERT FULL SERVICE JEWELRY REPAIR JEWELRY 75 E. INDIANTOWN RD #504 • JUPITER WE BUY GOLD 561.406.2074 20% OFF 15% OFF 50% OFF Any Watch or Jewelry Repair Watch Battery Estate Jewelry With this MLM coupon. Expires 1/22/23 With this MLM coupon. Expires 1/22/23 With this MLM coupon. Expires 1/22/23 PRIMEGOLFCARS.COM SALES • RENTALS • REPAIRS HUNDREDS OF ELECTRIC LITHIUM & GAS GOLF CARTS AVAILABLE • New & Used Carts • Lithium Battery • Rims, Tires, & Lift Kits • 2, 4, 6, & 8 Passenger Seat Carts • American EV Golf Carts • Bintelli Golf Carts • E-Z-GO Golf Carts • Evolution Golf Carts • Elite EV Golf Carts • Club Car Golf Carts • Kodiak Golf Carts • Yamaha Golf Carts • Roadster Golf Carts 561-601-5671 7100 N MILITARY TRL., FL• RIVIERA BEACH VISIT OUR OTHER LOCATIONS IN LANTANA, FT. LAUDERDALE & MIAMI SCAN TO SEE OUR INVENTORY FINANCING AVAILABLE Vero Beach 1669 Old Dixie Hwy 32960 VETERAN & SENIOR DISCOUNTS All Your Handyman Needs 772-281-9730 Veteran Owned • Licensed • Insured Call or Text Finish Trim Work Interior Carpentry Crown Molding Younique Custom Theater Trim & Design LLC facebook.com/theatertrim/ Find us on
VOL. 558 N 43 Copyrighted© My Living Media. 2023 All Rights reserved. To Advertise call 772-247-6849 0 DOWN FINANCING AS LOW AS $130/MONTH! Turnkey Installations! Electric and Gas Contractors! Fully Licensed and Insured! Factory Authorized Technicians! 24 Hour Emergency Service! Service and Maintenance! Unmatched Quality! Celebrating 35 Years in Business! ENDOF SEASON SA L !E ENDOF SEASON SA L !E ENDOF SEASON SA L !E $1,000 *Must Have Promo Present At Time Of Signing* Supplies Are Limited! Reserve Your Generator Today! Up to OFF Generator Installation! Limited Time Offer! Valid Through 1/2023 HOME STANDBY GENERATORS We ARE the Professionals! BE THE HOUSE ON YOUR BLOCK WITH THE LIGHTS STILL ON Elec. Lic #EC13002031 Gas: 24513 BE PREPARED FOR NEXT HURRICANE SEASON CALL TODAY FOR YOUR FREE IN HOME ESTIMATE 561-202-3535 www.PowerRestored.com 0 DOWN FINANCING AS LOW AS $130/MONTH! Turnkey Installations! Electric and Gas Contractors! Fully Licensed and Insured! Factory Authorized Technicians! 24 Hour Emergency Service! Service and Maintenance! Unmatched Quality! Celebrating 35 Years in Business! ENDOF SEASON SA L !E ENDOF SEASON SA L !E ENDOF SEASON SA L !E $1,000 *Must Have Promo Present At Time Of Signing* Supplies Are Limited! Reserve Your Generator Today! Up to OFF Generator Installation! Limited Time Offer! Valid Through 1/2023 HOME STANDBY GENERATORS We ARE the Professionals! GENERATORS NOW INSTOCK! 0 DOWN FINANCING AS LOW AS $130/MONTH! Turnkey Installations! Electric and Gas Contractors! Fully Licensed and Insured! Factory Authorized Technicians! 24 Hour Emergency Service! Service and Maintenance! Unmatched Quality! Celebrating 35 Years in Business! ENDOF SEASON SA L !E ENDOF SEASON SA L !E ENDOF SEASON SA L !E $1,000 *Must Have Promo Present At Time Of Signing* Supplies Are Limited! Reserve Your Generator Today! Up to OFF Generator Installation! Limited Time Offer! Valid Through 1/2023 HOME STANDBY GENERATORS We ARE the Professionals! GENERATORS NOW INSTOCK!
44 VOL. 558 N Copyrighted© My Living Media. 2023 All Rights reserved. To Advertise call 772-247-6849 Need More Coupons - MyLivingMedia.com RESIDENTIAL & COMMERCIAL • Shingles • Synthetic Shingles • Metal • Tile • Aluminum 1500 N Florida Mango Rd Suite 3 • WEST PALM BEACH (561) 264-6233 $500 Off $1000 Off Any Roof $10,000 or more. Any Roof $20,000 or more. Must present coupon when signing contract 01/20/23 Must present coupon when signing contract 01/20/23 Pressure Washing & Roof Cleaning • Screen Enclosure Frames • Driveways • Paver Sealing • Eco Friendly • Much More! www.pwpbg.com Workman’s Comp • Licensed & Insured Our Guarantee - If your house doesn’t look 157% better than before, we will refund you 100% of your money. “We Clean Barrel Tile, Metal, Asphalt Shingle Roofs & Cedar Shake Roofs” GOT MOLD ON YOUR ROOF? CALL OLIVER TWIST TODAY! We Are Commercial Specialists! Call James for Specials! BEFORE AFTER OliverTwist 561-771-0310 Serving South Florida Since 1999 SENIOR DISCOUNTS CALL FOR DETAILS NEED SHUTTERS THIS WEEK? Family Owned & Locally-Manufactured Plantation Shutters • ANGLES & RAKES • ARCHES & SUNBURSTS • OTAGON, CIRCLE, HEXAGON • SILL COVERS & CAPS HORIZONTAL ARCH PLANTATION SHUTTERS SUNBURST PLANTATION SHUTTERS www.plantationshutters a.com Treasure Coast Palm Beach 772-600-4253 or 561-420-0418 Visit our manufacturing shop at: 406 Farmers Market Rd Ft Pierce, FL 34982 IN-HOME ESTIMATES FREE $1695 SQ. FT. INSTALLED Starting at Plantation Shutters Florida™ Your Plantation Shutter Specialist Plantation Shutters Florida™ We are the Real Manufacturer Licensed & Insured CALL TODAY AND GET UP TO 10% DISCOUNT Restrictions may apply.
VOL. 558 N 45 Copyrighted© My Living Media. 2023 All Rights reserved. To Advertise call 772-247-6849 Need More Coupons - MyLivingMedia.com Make Your Shower & Floors Look New Again! • Tile & Grout Cleaning • Grout Restoration • Tile & Grout Repair • Loose & Hollow Tile Rebonding • Shower Repairs & Regrouting • Non-Slip Tile Treatment Call today for a FREE Estimate • 772-224-3011 or 1-800-561-3736 • www.GroutsmithStuart.com SEE THE DIFFERENCE WE CAN MAKE IN THE LOOK OF YOUR HOME! Your Grout & Tile Cleaning Experts $30OFF ANY JOB OF $300 OR MORE $50OFF ANY JOB OF $500 OR MORE With this MLM coupon only. Cannot be combined with any other offers or specials. Expires 2/3/23 No More Dirty Grout! Before Before After After With this MLM coupon only. Cannot be combined with any other offers or specials. Expires 2/3/23 Guaranteed for 10 Years! THE GROUTSMITH LOSE WEIGHT QUICK! BEFORE LOST 60 POUNDS! Without Surgery LOST 95 POUNDS! BEFORE AFTER GOALS WEIGHT LOSS Lose Weight QUICK! FREE $100 OFF CONSULTATION All Weight Loss Programs Plus Must present this MLM coupon for discount. Expires 2/05/23 BEFORE AFTER LOST 40 POUNDS! Without Surgery – PHENTERMINE AVAILABLE – GUARANTEED RESULTS 561-283-1011 401 Maplewood Dr., #2, Jupiter (Maplewood Center behind Home Depot) www.GoalsWeightLoss.net • Eat Real Food • No Exercising Required! • Private Counseling • Medically Supervised • NO Hormone Supplements • Individual Plans

For What It’s Worth

Ithink I write this same type of column every Christmas, but I can’t help it. You know how the old adage goes, pick your battles, when it comes to your children. Well I’m going to do one better. Pick your battles at any other time of the year, except for the holidays. Children are self-centered little people who have little understanding or respect for your time or money. ey want everything, and they expect you to make sure they get it. is type of attitude gets on parents nerves, and understandably so, but they’re only being kids. ey are hard-wired to whine, demand, insist, and all of it without any concern about your problems. ey don’t care about the rising cost of food or gasoline. Now, any other time of the year I might encourage you to make rules and follow them, but I like to give kids a free pass at Christmas. A er all, they only have six or seven years to believe in Santa, if you’re lucky, and only until they have to go out and make a living before they understand that money doesn’t grow on trees. But now, these little innocent children imagine the fun they might have playing with every toy ever made, and there’s no end to their imagination. Should you go broke trying to keep the magic in

Christmas? Of course not. But if they only have a few Christmases to remember when they look back on their childhood some day, then shouldn’t all of them be perfect?

I’m not saying break the bank. Magic isn’t only about toys under the tree. It’s about time spent together, building a gingerbread house, or baking cookies, loading them with sprinkles, and yes, giving them sugar, even if it’s only this one time of year. It’s about buying the tree, making hot chocolate, setting out food for the reindeer, and dressing the elves each night. It’s about staying up much later than you ever thought you could, to build bikes and playhouses, and falling into bed only to be awakened an hour later by eager children to see what Santa brought them. Mostly it’s about no arguing between you and your spouse. Let them sleep with sugar plums dancing in their heads.

Too much excitement, mixed with too much sugar is a recipe for disaster, but it’s only for one very special day, and don’t we owe it to our children to let them be kids, and to believe that miracles happen?

For What it’s Worth, I say, hold your temper, pray for patience, let the house be a mess, and let the kids whoop and holler all day long. Tomorrow comes soon enough, and rules can be enforced then. Try to remember what it was like when you were a kid who couldn’t fall asleep because you were too excited. If you were yelled at, I’m sorry for you, but don’t do that to your kids. If you were raised with parents as excited as you were, let yourself go back in time and be that child again. Your children will thank you for it. Holiday blessings from me to you. ank you for spending this year with me!

46 VOL. 558 N
My Living Media. 2023 All Rights reserved. To Advertise call 772-247-6849 With MLM Coupon. Expires 1/20/23 WHEN DETAILS MATTER! STORM INSPECTION SPECIAL! 10POINT FREE Policy and Claim Review Property Insurance Claim Investigating & Estimating Four Point Inspection Wind Mitigation Inspection Pre Listing & Point of Sale Inspection Insurance Claim Review SOLUTION ONE INSPECTORS 772-444-8336 Contact@SolutionOneInspectors.com • SolutionOneInspectors.com Insurance Claim Estimate Insurance Loss Appraiser Leak Detection Mold Assessment
Copyrighted©
Suggestions DrMelfi@mediaoms.com
Comments or

I’m Mark Lindsay, and that was me on the Ed Sullivan Show. I sang every hit song for Paul Revere & the Raiders, including ‘Kicks,’ ‘Indian Reservation,’ and my solo ‘Arizona.’ My trademark was a ponytail and a teen idol smile. The ponytail’s been gone for awhile, but as a singer my smile is still super important. I recently visited Appearance Dental for an implant and crown procedure. The staff was courteous and made me feel comfortable from the moment I walked in the door. I was really impressed with their dental office and the dentist did an outstanding job. Appearance Dental transformed my smile, and I trust them to keep my smile looking revolutionarily good.” — Mark Lindsay Read all of our testimonials at AppearanceImplants.com

VOL. 558 N 47 Copyrighted© My Living Media. 2023 All Rights reserved. To Advertise call 772-247-6849 Need More Coupons - MyLivingMedia.com OPEN FOR EMERGENCIES | AFFORDABLE DENTAL EXCELLENCE IS NOW HERE! WE ARE PRIVATELY OWNED, NOT A CHAIN OR CORPORATE ENTITY. WE SPECIALIZE IN FULL MOUTH RECONSTRUCTION Additional services we offer include CLEAR TOOTH ALIGNERS, SINGLE IMPLANTS, DENTURES & MORE!!! FREE IMPLANT CONSULTATION (Exam & Digital X-Ray or 3D Cone Beam) (D0150, D9310, D0330 & D0383) SureSmile® OR CLEAR TEETH ALIGNERS OUR DENTISTS HAVE OVER 100 YEARS OF COMBINED EXPERIENCE & HAVE PLACED OVER 15,000 IMPLANTS You Des ve a Beautiful Smile! SALVATORE MELITA, DDS ALANA SHIELDS, BSN, RN, DMD JAY GELMAN, DMD JOSEPH GAETA JR., DDS Better On 8™ Cleaning Porcelain Fused to Metal Crown Zirconium All Porcelain Crown $79 $699 $899 Includes Free Exam & X-Rays New Patients Only LIMITED OFFER (D1110, D0150, D4355,D0330) (D2751) (D2740) FULL ROUND HOUSE BRIDGE A Better Alternative to All-On-4 Benefits • Very little, if any speech changes • Does not cover any part of the palate • Can be cleaned just like bridges on teeth • Require no special abutments (All-on-4 protocol requires angle correct on abutments which are not bone or gum tissue friendly) • Usually do not need pink porcelain at the gumline (because aggressive bone removal is not necessary) D6010, D6056, D6240, D6060 BETTERON8.COM D6010, D6056, D5863, D5865, D5862 PER ARCH WITH LOCATORS PER ARCH D6010, D6056, D6065, D6060 50% SAVINGS WE USE MEGAGEN IMPLANT SYSTEMS Implant, Abutment, and Zirconium Crown Implant, Abutment, and Crown Only$1,899 Only$2,099 D7140 DENTURES ECONOMY $359 INTERMEDIATE $999 DELUXE $2,000 D5810/D5811 D5130/D5140 D5110/D5120 With Simple Extractions Starting at $99 We will beat any like-priced quote $9,999 Implant and Abutments Placed Crown and Bridge Porcelain Fused to Metal Implant Abutments Placed $14,500 FULL MOUTH RECONSTRUCTION ROUND HOUSE BRIDGE 8/6 IMPLANTS & 12 UNITS OF CROWNS starting at starting at TRADITION DENTAL OPEN MON.-FRI. SATURDAY & EVENING HOURS AVAILABLE JUPITER 561-250-6307 6390 W. Indiantown Rd., #32 Jupiter, FL 33458 At the West End of the Chasewood Plaza AppearanceImplants.com 772-207-1213 1973 SW Savage Blvd. #205 Port St. Lucie, FL 34953 Behind the RaceTrac Gas Station TraditionDentalGroup.com OPEN MON.-FRI. SATURDAY & EVENING HOURS AVAILABLE PORT ST. LUCIE TR-1968533.INDD SALESPERSON:MelissaKelley ISOUR37YEARTRADITION DentistOwned,Not “Hi,I’mMarkLindsay,andthat smeontheEdSulli nSho s, including ‘Kicks rizona.’Mytrademark saponytailandateenidolsmile.Theponytail’sbeen go fo awhile,butasasinger smileisstillsuperimportant.I cently nprocedure. Thestaff elcomfortablefromthe allyimpressedwiththeir dentalofficeandthedentistdidanoutstandingjob. Tradition Dentaltransformed ep my smile —MarkLindsay “Hi,
WE WILL MEET OR BEAT ANY WRITTEN ESTIMATE ON IMPLANTS, ROOT CANALS, & CROWNS! WALK-INS WELCOME WEEKEND & EVENING APPOINTMENTS AVAILABLE PRICES ARE SUBJECT TO CHANGE WITHOUT NOTICE WITH THE EXCEPTION OF PREVIOUSLY SCHEDULED TREATMENT PLANS. NEW TREATMENT PROGRAM ONLY. THE PATIENT AND ANY OTHER PERSON RESPONSIBLE FOR PAYMENT HAS THE RIGHT TO REFUSE TO PAY, CANCEL PAYMENT OR BE REIMBURSED FOR ANY SERVICE EXAMINATION OR TREATMENT WHICH IS PERFORMED AS A RESULT OF AND WITHIN 72 HOURS OF RESPONDING TO THE ADVERTISEMENT FOR THE FREE, SERVICE, EXAMINATION OR TREATMENT. LIC #DN10761
48 VOL. 558 N Copyrighted© My Living Media. 2023 All Rights reserved. To Advertise call 772-247-6849 Need More Coupons - MyLivingMedia.com • Over 300 Vehicles in Stock • Se Habla Español • Low Payments • 4 Locations 2777 S. US Hwy 1, Ft. Pierce • 772-672-3190 www.allapprovedautoworks.com $600 Down Delivery or Trade-In All Approved Autoworks 2006 CADILLAC SRX 4 Door, V6, Automatic, A/C, CD $3975 2005 CHEVY AVALANCHE 1500 LS 5.3 L Full Power, Cold A/C $5475 2006 HONDA ODYSSEY Automatic, A/C, Leather, 7 Passenger $2975 AC, CD $2975
VOL. 558 N 49 Copyrighted© My Living Media. 2023 All Rights reserved. To Advertise call 772-247-6849 Need More Coupons - MyLivingMedia.com ALARM SYSTEMS Protecting People & Property Since 1984 FULLY INSTALLED & MONITORED ALARM SYSTEM • Alarm.com Dealer • FREE Home Survey • Security Cameras • Fire Alarms • Security Alarm Systems LIC# EF20000681 • LIC# FPC 13-000046 7728376567 FREE 1ST MONTH OF SERVICE WITH A MINIMUM OF 12 MONTHS WITH THIS AD • EXP. 01/31/23 561-509-5577 Serving all of Palm Beach County Any New Hot Water Heater or Tankless Heater Any New Toilet Any New Garbage Disposal Clearing Any Sink, Toilet, or Main Sewer Line Your Next Service Call $65 OFF $50 OFF $35 OFF $37 OFF Not valid with other offers or prior services. Must present MLM coupon. Limit one coupon per service call. Not valid with other offers or prior services. Must present MLM coupon. Limit one coupon per service call. Not valid with other offers or prior services. Must present MLM coupon. Limit one coupon per service call. Not valid with other offers or prior services. Must present MLM coupon. Limit one coupon per service call. Not valid with other offers or prior services. Must present MLM coupon. Limit one coupon per service call. Celebrating 40 Years of Excellence www.duallplumbers.com N N N N N Lic. #CFC1429556 Any Job Big or Small We Do Them All! Available Nights, Weekends, & Holidays Plumbing Repairs & Water Heater Installations Senior Citizen & Veteran Discounts Available! $30 OFF
50 VOL. 558 N Copyrighted© My Living Media. 2023 All Rights reserved. To Advertise call 772-247-6849 Need More Coupons - MyLivingMedia.com 561-745-5001 • One-on-One Personal Training • Increase Energy • Burn Fat/Tone Problem Areas • Nutrition Counseling THREE PALMS PLAZA 2151 Alt. A1A South #700, Jupiter www.BeFitJupiter.com 4 FREE Sessions NEW CLIENT SPECIAL With this MLM coupon. *New clients only. Cannot be combined. Expires 1/31/23 “Formerly Be Fit Body Boutique” BE STRONG. BE CONFIDENT. BE FIT. GIFT YOURSELF HEALTH & FITNESS THIS YEAR! Bringing Colombian avor & style to Jupiter! 6230 W Indiantown Rd Suite 7 Jupiter, FL 33458 561.772.5012 | alfredobarrazaboutique.com 15% off purchase of $200 or more exp 1/31/23 (ants, roaches, spiders) Rodent Trapping, Removal, & Prevention Ratman Wildlife Rodent_0070-2719_PR558 ! Charlie FREE Rodent Prevention Consultation FREE Estimates! $50 Rodent Service (Guaranteed Rodent Free) O F F 25% (1st Service with Full Year Agreement) O F F Pest Control www.advanced-re nishingllc.com UGLY TUB & TILE? • Bathrooms • Kitchens • Jacuzzis • Showers • Epoxy Floors 772-266-5115 CABINET REFINISHING TUB REFINISHING $100 OFF $20 OFF With this MLM coupon. Cannot be combined with any other offers or specials. Expires 1/31/23 With this MLM coupon. Cannot be combined with any other offers or specials. Expires 1/31/23 BEFORE AFTER Don’t Replace It… REGLAZE IT!
VOL. 558 N 51 Copyrighted© My Living Media. 2023 All Rights reserved. To Advertise call 772-247-6849 Need More Coupons - MyLivingMedia.com YOUR NEXT PRODUCT PURCHASE EXCLUDING FOOD & GROOMING Natural Pet Food • Boutique • Grooming Catering to Your Pet’s Health! 155 Toney Penna Drive, Suite 6, Jupiter, FL 33458 1/2 mile South of Indiantown Road, between Alternate A1A & Military Trail Largest selection of natural, holistic & raw pet food including raw meaty bones, chicken necks & tripe. 561.748. PAWS 7297 info@healthepetsmarket.com WWW.HEALTHEPETSMARKET.COM Must present coupon at time of service. Not valid with any other offer. Expires 1/21/23 Certi ed NutritionPet Specialist Healthy options for cats and dogs include supplements and vitamins, plus all of your pet’s favorite treats. 10%off Toys • Bones • Bedding • Leashes • Collars • Grooming Supplies and more. (Mon.-Sat.) • 8:30am - 7:00pm (Sunday) • 11:00am - 4:00pm Family-Owned Since 1997 the Original Paving Contractor InstallationWeSpecializeIn&Repair • A+BBB • 10-Year Warranty • Over 50 Years of Experience in Brick Paving 561-257-5775 PAVERS ARTIFICIAL GRASS 312 Center Street • Jupiter, FL 33458 www.TripleMBricks.com • MMMBRICKPAVERS@AOL.COM • Paver Repairs • Interlocking Brick Pavers • Old Chicago Bricks • Travertine • Driveways • Walkways • Patios • Pool Decks • Pool Remodeling - KID & DOG FRIENDLY - NO WATER - NO FERTILIZER - NO MUD - NO ITCHY GRASS - GREEN YEAR ROUND Refresh your Backyard with Arti cial Grass, an Outdoor Kitchen, and Pavers With this MLM Coupon. May not be combined with other offers. Expires 1/31/23 ANY INSTALLATION $100 OFF FREE ESTIMATES! Licensed and Insured License#U20229 BRICK PAVERS & ARTIFICIAL GRASS
52 VOL. 558 N Copyrighted© My Living Media. 2023 All Rights reserved. To Advertise call 772-247-6849 Need More Coupons - MyLivingMedia.com …A Beautiful Smile is closer than you think. General, Cosmetic, & Implant Dentistry THE PATIENT AND ANY OTHER PERSON RESPONSIBLE FOR PAYMENT HAS THE RIGHT TO REFUSE TO PAY, CANCEL PAYMENT OR BE REIMBURSED FOR ANY SERVICES, EXAMINATION OR TREATMENT WHICH IS PERFORMED AS A RESULT OF AND WITHIN 72 HOURS OF RESPONSE TO THE ADVERTISEMENT FOR FREE OR DISCOUNTED SERVICES, EXAMINATION OR TREATMENT. 654 W. Indiantown Rd. Suite 105, Jupiter Lic#14440 Angelo Forte, DMD, PA. 561.747.2134 ! NEW PATIENT SPECIAL ZOOM2 WHITENING $89 $125 OFF Prophylaxis Cleaning, Exam, FMX, & Oral Cancer Screening Codes: D0150, D1610, D1674, D1110 Codes: D0003 RESTRICTIONS MAY APPLY. MLM COUPON EXPIRES 2/3/23 MLM COUPON EXPIRES 2/3/23 NOW OFFERING In-House Dental Discount Plan Ask for details Motorized Roll-Up Screens for Garages, Patios, or Lanais YOUR LOCAL SCREEN & AWNING DEALER. RATED #1 IN SERVICE 561-349-6788 FlaScreens.com Serving Port St Lucie to Boca Raton • Visit Our Showroom at: 2885 Jupiter Park Dr. • Suite 1900A • Jupiter, FL 33458 • Power Screens • Retractable Awnings • Nano Bugmesh • Solar Fabrics • FREE In-House Estimates ENTERTAIN OUTDOORS YEAR ROUND! Let The Fresh AIR IN, Keep the BUGS OUT. Lic.# U-20970
VOL. 558 N 53 Copyrighted© My Living Media. 2023 All Rights reserved. To Advertise call 772-247-6849 Need More Coupons - MyLivingMedia.com 561-462-8338 • Roofs • Driveways • Screen Enclosures • Porch & Patio Driveway Cleaning with Purchase of Roof Cleaning FREE Up To 2500 SqFt Must Present MLM Coupon • Rust Removal • Gutters • Driveways & Roof Sealing PRESSURE CLEANING Commercial & Residential AS SEENONTV SAVE 50% On the First $200 of Work MINIMUM JOB $350 Must be presented at time of estimate. With this coupon. Cannot be combined with other offers. Expires 1/20/23 EMERGENCY SERVICE-ANY DAY, ANY HOUR Licensed & Insured CFC1427336 • Sinks • Toilets • Water Heaters • Leak Detection • Showers • Bathtubs $30 OFF ANY SERVICE 561.533.7070 PlumbRitePlumber.com Service Interruption? 24-Hour Plumbing Repair Fast | Reliable | Trusted | Guaranteed Sewer & Drain Cleaning All Clogged Lines Corrected With this MLM coupon. Relax, Recharge, Rejuvenate. Must present MLM Coupon for discount. Expires 1/31/23 Must present MLM Coupon for discount. Expires 1/31/23 Swedish Massage or Acupuncture Deluxe MD Hydrafacial Deep Tissue Massage Includes Celluma add $35 Anti/Aging or Brightening Booster BioElectric DDS Must present MLM Coupon for discount. Expires 1/31/23 www.absolutewellnessspa.com 221 Greenwich Cir #101 • Jupiter (Between Donald Ross and University Dr.) Reg. $209 Reg. $90 Call Linda or Greg 561-254-7572 Must present MLM Coupon for discount. Expires 1/31/23 Custom Deep Pore Facial $65 Add Chemical Peel or Microderm $30 (medical grade) $79 By Appointment Only $59 50 min. 60 min. Reg. $120 $149 Gift Certificates Available Facials, Massage & Acupuncture MM19098 MA46698 New Location
54 VOL. 558 N Copyrighted© My Living Media. 2023 All Rights reserved. To Advertise call 772-247-6849 Need More Coupons - MyLivingMedia.com www.Kitchensbykboys.com 561-496-6765 • Bathrooms • Cabinetry • Flooring • Shiplap • Wainscoting • Closets $200 Off Any Kitchen Remodel over $3,000 MLM coupon expires 1/31/23 772-783-9517 I.M.A.Landscaping@gmail.com IMA LANDSCAPING TREE & PALM SERVICES With this MLM Coupon FREE STUMP REMOVAL Get 1 Free Stump Removed w/Purchase of 3 Stump Removals We Beat AnyEstimateWritten Lic & Ins Serving PSL, Martin, Palm Beach FREE ESTIMATES WE SPECIALIZE IN TREE REMOVAL • Rock & Stone Install • Palm/Tree Removal • Irrigation install & Services • Stump Grinding • Mulching & Sod Installed • Tree Trimming TREE & PALM TRIMMING • Pressure Washing • Brazilian Pepper Tree Cut Back & Removal • Installation/Design • Lawn Maintenance • Clean Ups/Hauling • Weeding & Much More • H.O.A. Complaint Letters • H.O.A Approved • Hazardous trees that are too close to the roof Family Owned & Operated since 1983 24-HOUR SERVICE 4 Generations of Plumbing & Knowledge! TOLL FREE 2647 President Barack Obama Hwy., Riviera Beach, FL 33404 561-625-9414 800-323-0263 www.NorthCountyPlumbing.org • Licensed • Bonded CFC026530 Serving All of Palm Beach County for 38 Years Strong & Still Growing! PLUMBING PROBLEMS? We can handle any plumbing repair, from Big to Small! 10% $1099 $ 425 $ 99 OFF ANY SERVICE CALL Maximum ($100 Discount) With this MLM coupon. Cannot be combined with any other offer. Expires 02/03/23 INSTALLED WATER HEATER SPECIAL Electric Only. 50 - 40 - 30 - Tall or Med. No Hidden Costs Regular Price $1199 - Special Price $1099 - SAVE $100 With this MLM coupon. Cannot be combined with any other offer. Expires 02/03/23 TOILET REBUILD SPECIAL Includes Fill Valve & Flapper. Standard Toilets Only Regular Price $148 - Special Price $99 - SAVE $49 With this MLM coupon. Cannot be combined with any other offer. Expires 02/03/23 In Garage on Floor Only. +TAX NEW TOILET Supply & Install White Round or Elongated Toilet With Seat, Standard Height. Reg. Price $499, Special Price $425 SAVE $75. Additional Charges May Apply. With this MLM coupon. Cannot be combined with any other offer. Expires 02/03/23
VOL. 558 N 55 Copyrighted© My Living Media. 2023 All Rights reserved. To Advertise call 772-247-6849 Need More Coupons - MyLivingMedia.com $500 OFF $75 OFF FREE Any New Roof $8000 & Up Any Roof Repair $750 & Up Estimates On Roofs & Repairs Expires 1/31/23 Expires 1/31/23 Expires 1/31/23 561-566-5601 www.myroofsystem.com WHERE QUALITY & SERVICE MAKES THE DIFFERENCE CALL FOR A FREE ROOF EVALUATION TODAY! From… PROTECT YOUR PROPERTY WITH EXPERT ROOFING • ROOF REPAIR • ROOF REPLACEMENT • ROOF LEAK DETECTION • NEW CONSTRUCTION THE WINDOW & DOOR SPECIALIST 772-288-6205 WWW.KAMRELL.COM KAMRELL When You Want It Hung Well... TRUST FAMILY OWNED & OPERATED SINCE 1999 8200 SW LOST RIVER ROAD STUART, FLORIDA 34997 Financing Options Available On Our Website LICENSED & INSURED CGC061180 THE DOOR SYSTEM YOU CAN BELIEVE IN THE DOOR OF BEAUTY AND INOVATION
56 VOL. 558 N Copyrighted© My Living Media. 2023 All Rights reserved. To Advertise call 772-247-6849 Need More Coupons - MyLivingMedia.com SOLAR SHADES Manual or Motorized available Seaglass Window Fashions • Stained Wood Plantation Shutters • Zebra Shades • Honeycomb Shades • Woven Wood Shades • Sheer Shades American Made 561-932-3712 Quick Turnaround! PBG, Jupiter, Palm City, Stuart, Port St. Lucie White Poly Vinyl Plantation Shutters
VOL. 558 N 57 Copyrighted© My Living Media. 2023 All Rights reserved. To Advertise call 772-247-6849 Need More Coupons - MyLivingMedia.com CALL TODAY FOR A free estimate! DRIVEWAYS • WALKWAYS • PATIOS • POOL DECKS • RETAINING WALLS CUSTOM POOL REMODELS • NEW POOL CONSTRUCTION • CLEAN & SEAL PAVERS • REPAIRS MARTIN 772-419-5151 PALM BEACH 561-844-9370 apexpaversandpools.com LICENSED & INSURED: CPB #4701 • U-20589 • U-20796 • RP #4701 *WITH APPROVED CREDIT. OFFERS CANNOT BE COMBINED. Apex Pavers & Pools, Inc. 725 SE Monterey Rd., Stuart, FL 34994 COME VISIT OUR SHOWROOM! POOLS TRANSFORMING THE ORDINARY TO Extraordinary FINANCING AVAILABLE CONTACT US TODAY TO LEARN MORE* CALL TODAY FOR A free estimate! DRIVEWAYS • WALKWAYS • PATIOS • POOL DECKS • RETAINING WALLS CUSTOM POOL REMODELS • NEW POOL CONSTRUCTION • CLEAN & SEAL PAVERS • REPAIRS MARTIN 772 - 419-5151 PALM BEACH 561-844-9370 apexpaversandpools.com LICENSED & INSURED: CPB #4701 • U-20589 • U-20796 • RP-252555006 *WITH APPROVED CREDIT. OFFERS CANNOT BE COMBINED. Apex Pavers & Pools, Inc. 725 SE Monterey Road, Stuart, FL 34994 POOLS TRANSFORMING THE ORDINARY TO Extraordinary 12 MONTHS SAME AS CASH NO INTEREST, NO PAYMENTS FOR 12 MONTHS* COME VISIT OUR NEW SHOWROOM! DRIVEWAYS • WALKWAYS • PATIOS • POOL DECKS • RETAINING WALLS CUSTOM POOL REMODELS • NEW POOL CONSTRUCTION • CLEAN & SEAL PAVERS • REPAIRS LICENSED & INSURED: CPB #4701 • U-20796 • RP-252555006 • CPC 1458696 Visit Our Showroom
58 ing and refacing services, your original cabinet boxes stay in place –Before Refacing DIEGO HERNANDEZ Hassle-Free Kitchen Updates Choose a new color and style for your kitchen with cabinet refacing. · HARDWOOD · VINYL · LAMINATE · ENGINEERED WOOD CALL NOW FOR FREE ESTIMATE STUART 772.600.4814 www.faceofwood.com SHOWROOM: 6408 SE Fed. Hwy., Stuart | Mon-Fri: 8am-5pm |Sat: By Appointment Only FLOORING INSTALLATION & REFINISHING * WE OFFER 1-YEAR WARRANTY ON INSTALLATION * INTEREST-FREE FINANCING 14 Years Serving South Florida! 10% OFF With this MLM coupon Expires 1/15/23 (Estimates that include both materials & installation) Licensed & Insured Come In To See Our New Collections Now In Stock
VOL. 558 N 59 Copyrighted© My Living Media. 2023 All Rights reserved. To Advertise call 772-247-6849 Need More Coupons - MyLivingMedia.com
4 VOL. 548 H/K Copyrighted© My Living Media. 2022 All Rights reserved. To Advertise call 772-247-6849 www.UnlimitedAutoWashClub.com Mon - Sat 8:00am Sun 9:00amcar wash
VOL. 548 H /K 5 Copyrighted© My Living Media. 2022 All Rights reserved. To Advertise call 772-247-6849 Need More Coupons - MyLivingMedia.com 561-WASH-ME-2 OUR SERVICES www.UnlimitedAutoWashClub.com Unlimited Auto Wash is more than just a Club! Unlimited Auto Wash is a full service, 100% hand wash conveniently located at select gas stations and convenience stores. We currently have seven locations: Jupiter, Palm Beach Gardens, Tequesta, Wellington, and West Palm Beach. If you become a member of our club, then you can use your membership at any of our 5 locations... by the way, we absolutely welcome occasional customers too! 8:00am - 6:00pm 5:00pm 96-Hour Rain Guarantee Monday is Men’s Day Wednesday is Ladies’ Day Thursday is Seniors’ Day WASHING & DETAILING Join The Club Today Download Our App for Great Savings Around Town WASH CLUB UP TO
62 VOL. 558 N Copyrighted© My Living Media. 2023 All Rights reserved. To Advertise call 772-247-6849 *Additional charges may apply for heavily soiled areas Serving the Treasure Coast from Vero to Palm Beach 772-919-7163 • 561-250-0088 WWW.CarpetCleanerInFlorida.com 3 ROOMS $68 2 ROOMS $42 5 ROOMS $99 TILE & GROUT CLEANING 39¢ SQ. FT. 100 SQ. FT. MINIMUM FURNITURE CLEANING $60 SOFA OR LOVE SEAT OR 2 CHAIRS AREA RUGS $40 AND UP PREVENTS FIRES DRYER VENT CLEANING FREE DEODORIZER, SANITIZER, & DISINFECTANT $85FROM & SPEEDS DRYING TIME OFFER #MS1-1 CARPET CLEANING Licensed Ask about ...dries in half the time!
Second Location 4880 SE Federal Hwy, • Stuart 552 US Hwy. 1 North • Tequesta (LOCATED IN THE PUBLIX PLAZA) 1-833-ACE-CART 223-2278 Second Location Aceofcarts.com Residential Customer PRSRT STD ECRWSS US POSTAGE PAID PERMIT #145 STUART, FL 2081 SE Ocean Blvd. • Suite 4 Stuart, Florida 34996 • 772-334-2121 Ace of Carts Authorized Club Car Dealer Now Open in Tequesta! Red Tag Sales Event! OVER 200 BRAND NEW CLUB CARS IN STOCK! Must be a 2022 Model Year Club Car from dealer stock. Offer expires 1/31/23 or while supplies last. Financing is available with standard rates. Not eligible for 0% Financing promotion; offers do not combine. Ace of Carts has the Area’s Largest Selection of Golf Carts! CARTS IN STOCK AND READY FOR DELIVERY! $1,000 in FREE Accessories FREE Local Delivery Destination & Setup Charges. REGISTER ONLINE TO GET: https://aceofcarts.com/red-tag/ Promo code: MLM822 SALES• SERVICE • PARTS

Turn static files into dynamic content formats.

Create a flipbook
Issuu converts static files into: digital portfolios, online yearbooks, online catalogs, digital photo albums and more. Sign up and create your flipbook.