N3-Alton Living-Vol.562

Page 1

Simple • Healthy Fresh See Page 26 VOL. 562-N3 Index Page 9 ALTON Living MYLIVINGMEDIA.COM Puzzle Page Pg. 46 For What It’s Worth Pg. 44 Hurricane Protection Pgs. 21-23 Level Best Roofing Pgs. 4-5
2 VOL. 562 N Copyrighted© My Living Media. 2023 All Rights reserved. To Advertise call 772-247-6849 MMJ Health Make the Appointment Use our patient qualification system to see if you qualify for medical marijuana. See the Marijuana Doctor See one of our qualified physicians at one of our many locations in Florida. Get Your Card You will be able to visit and get delivery from any dispensary in Florida. Let Dr. Morgan, The Highest Rated MMJ Doctor, at MMJ Health find your Alternative to Pharmaceuticals! Anne L. Morgan, M.D. When it comes to finding medical marijuana (MMJ) doctors, you can trust the helpful and professional staff at MMJ Health. Serving patients in Palm Beach, Martin, & St. Lucie Counties. Call MMJ Health to schedule an appointment with a Florida Medical Marijuana Doctor: WINNER OF BEST DISPENSARY, BEST MEDICAL MARIJUANA CARD PROVIDER, BEST CBD STORE, AND FINALIST FOR BEST PLACE TO WORK HOW IT WORKS Treasure Coast 772-212-4032 Palm Beach 561-631-7994
VOL. 562 N 3 Copyrighted© My Living Media. 2023 All Rights reserved. To Advertise call 772-247-6849 Need More Coupons - MyLivingMedia.com Make a GREAT First Impression with new Front Doors! New Solid Core Doors • New Door Hardware • New Hinges We are Palm Beach County’s Largest Specialty Door Store WE HAVE DOORS TO FIT ANY BUDGET! Transform your home by installing new custom interior doors without the mess and hassle of major construction. Choose from a wide variety of contemporary, traditional and transitional door styles. License # CBC037800 FINANCING AVAILABLE Impact Resistant Fiberglass & Mahogany Entry Doors • Impact Resistant Decorative Glass Inserts Interior Doors • Impact Resistant French & Siding Glass Doors • Hurricane Impact Windows Call Today 561.678.5630 to schedule your FREE SHOWROOM appointment or schedule online www.FLORIDADOORS.COM BOCA RATON | 9858 Clint Moore Rd., Suite C-128 • Boca Raton, FL 33496 Tuesday - Friday • 9am - 5pm Saturday • 9am - 4pm WEST PALM BEACH | 346 Pike Road, Suite 6, West Palm Beach, FL 33411 Monday - Friday • 7am - 4:30pm Saturday • 9am - 4pm JUPITER | 75 E. Indiantown Road, Suite 507, FL 33477 Tuesday - Friday • 9am - 5pm Saturday • 9am - 4pm 15% OFF Installed Doors * Offer not valid on prior sale. Applies to installed exterior & interior doors only. Offer ends 4/ 30/2023
2 VOL. 561 H/K Copyrighted© My Living Media. 2022 All Rights reserved. To Advertise call 772-247-6849 Need More Coupons - MyLivingMedia.com and storm te YOUR TRUSTED • Tile Roofing • Shingle Roofing • Cedar Shake Roofing • Metal Roofing • Flat Roofing Roof Repair • Roof Replacement Insurance Restoration $150 ROOF REPAIR Must present this MLM coupon. Expires 3/31/23 off FREE IN-HOME VISIT 772-222-6760 819 SW Federal Hwy. • Ste #201 • Stuart www.levelbestroofing.com LICENSED & INSURED • #CCC133746 We Professionally Install Residential and Commercial Roofing

TRUSTED ROOFER

"Excellent company. Got whole roof replaced from storm damage. Pleasant to deal with."

"Excellent company. Got whole roof replaced from storm damage. Pleasant to deal with."

-Alex D

-Alex D

"My rental property sustained minor roof and gutter damage during a recent summer storm from a displaced tree branch. Calls to several roofing repair companies, requesting expedited services, were not being met until I spoke with Bill at LBR. Costs and value were reasonable. Work teams on site were organized, safe and left the property clean." -M. Lacouture

"My rental property sustained minor roof and gutter damage during a recent summer storm from a displaced tree branch. Calls to several roofing repair companies, requesting expedited services, were not being met until I spoke with Bill at LBR. Costs and value were reasonable. Work teams on site were organized, safe and left the property clean."

-M. Lacouture

www.levelbestroofing.com

Fort Myers, Stuart. Sarasota

"Friendly, reliable and on time. I highly recommend this company."

"Friendly, reliable and on time. I highly recommend this company."

-David S

-David S

"We had an issue with a leaking roof, and we called Level Best Roofing to help us out. Mark was quick to call us back, get people out to examine the roof, and schedule the work. They were willing and accommodating to our schedule and our needs. We will consider them when it comes time to replace the roof. Thank you Level Best Roofing."

"We had an issue with a leaking roof, and we called Level Best Roofing to help us out. Mark was quick to call us back, get people out to examine the roof, and schedule the work. They were willing and accommodating to our schedule and our needs. We will consider them when it comes time to replace the roof. Thank you Level Best Roofing."

-David

-David L

Copyrighted© My Living Media. 2022 All Rights reserved. To Advertise call 772-247-6849 Need More Coupons - MyLivingMedia.com
05 LIC # CCC1333746
05 LIC # CCC1333746 Contractor LIC# CGC1516683 www.levelbestroofing.com Fort Myers, Stuart. Sarasota
$500 ANY NEW ROOF REPAIR $10,000 & Up Must present this MLM coupon. Expires 3/31/23 3/31/23 off off 5 Stars Google Residential
6 VOL. 562 N Copyrighted© My Living Media. 2023 All Rights reserved. To Advertise call 772-247-6849 Need More Coupons - MyLivingMedia.com Call for a free in home design consultation and estimate Imagine your home, totally organized! Custom Closets, Garage Cabinets, Home Offices, Pantries, Laundries, Hobby Rooms and more... 40% Off Plus Free Installation Terms and Conditions: 40% off any order of $980 or more or 30% off any order of $680-$979 on any complete Custom Closet, Garage Cabinets, Home Office, Pantry, Laundry, Wall Bed, Wall Unit, Hobby Room or Garage Flooring system. Not valid with any other offer. Free installation with any complete unit order of $600 or more. Expires in 30 days. Call for a free in home design consultation and estimate (561)203-4745 www.closetsbydesign.com MSJ Follow us 2020 © All Rights Reserved. Closets by Design, Inc. Walk-In-Closets Laundry Rooms Home Offices Garage Cabinets Follow us www.closetsbydesign.com CGC1509325 & MC1900055 (561) 203-4745 MSJ
5340 Donald Ross Rd., Suite 110, Palm Beach Gardens (In Alton Town Center right next to Petsmart) www.bergmanjewelers.net Open Monday to Friday 10AM-6PM • Open Saturday 11AM-3PM 561-627-0900 We offer a large selection of ne Jewelry, Watch Repair, Jewelry Repair, and Custom Designs. Specializing in larger, G.I.A.-Certi ed Diamonds, as well as a Huge Selection of Lab-Grown Diamonds. How Much Is My Jewelry Worth? Come in for a FREE Evaluation! BUYING FINE WATCHES ROLEX and Other Fine Swiss Watches! Diamond Studs Tennis Necklace Diamond Oval Diamond Eternity Band BEST PRICES ON LAB-GROWN DIAMONDS Your Best Source for Pre-Owned Rolex! BERGMAN JEWELERS FULL ROLEX SERVICE AVAILABLE Bring in this ad & receive 30% off ALL LAB-GROWN DIAMONDS Expires 3/31/23
2 LOCATIONS Treasure Coast Mall, Jensen Beach COHEN’s COHEN’ OptiCal Pinecrest Lakes Including Hollycreek & Timberwick Living 549-A7 MYLIVINGMEDIA.COM $1000 OFF JetSetter Membership Indian River Shores Living MYLIVINGMEDIA.COM Index Page 9 551-E4 Okeechobee Cowtown Rodeo See Page 9 March 8th - 10th Okeechobee WEST Living VOL. Index Page 30 MYLIVINGMEDIA.COM Meet Sean Quinn… See Pages 4-5 Your trusted neighborhood Realtor Our Local Market is Shifting & You need to know exactly what that means! River Shores North VOL. 549-A1 Living MYLIVINGMEDIA.COM Index Page 9 Meet Soraya Cedeño CEO of Organic Tagua Jewelry See Pgs. 18 & 19 Sailfish Point VOL. 549-A2 Living MYLIVINGMEDIA.COM Index Page 9 NO WATERING NO MOWING NO FERTILIZING VeroBeach VOL. Living West MYLIVINGMEDIA.COM Index Page 9 Jupiter VOL. 549-D1 DIRECT MAIL High-quality printed post cards & inserts allow you to target specific zip codes every two weeks FREE digital, mobile, & social media marketing for every one of our direct mail clients Mailing Martin, St. Lucie, Indian River, Okeechobee, & Palm Beach Counties my LIVING MEDIA ON THE WEB We are Florida’s Premier Direct Mail & Multimedia Marketing Company 1¢MAIL Some Restrictions Apply. Please call for details. PER HOME FOR ONLY… 15,000* HOMES CONNECT TO YOUR COMMUNITY… 772-247-6849 100+ UNIQUE COMMUNITY MAGAZINES
upiter Living Index Page 9 Shop Local - Beautiful Designer Furniture and Furnishings Furniture Store Island VOL. Living MYLIVINGMEDIA.COM Index Page 9 Janice Milesic Steve Milesic Sebastian 551-U1 Living MYLIVINGMEDIA.COM Index Page 9 EAT. DRINK. CHILL. Grand Harbor Living MYLIVINGMEDIA.COM Index Page 9 VOL. Including Oak Harbor and River Club Gardens Palm Beach Living MYLIVINGMEDIA.COM VOL. 549-I5 THC TOTAL HOME DISCOVER THE PREMIER POSSIBILITIES A Taste of Italy in Every Bite Torino VOL. 549-F3 Living MYLIVINGMEDIA.COM See Pgs. 52-53 Executive Chef, Taylor Wilson This Grill is American Cuisine and Full Bar Stuart Yacht & Country Club Living VOL. 549-O4 Index Page 9 MYLIVINGMEDIA.COM MY LIVING CONTENTS - ZONE N Volume 562 March 2023 For advertising rates and information Email: sales@mediaoms.com Call 772-247-6849 © 2023 by My Living Media. All rights reserved. Although some parts of this publication may be reproduced and reprinted, we require that prior permission be obtained in writing. My Living Magazine is a free publication distributed locally and is supported by our advertisers. Please call to find a location near you or if you would like copies placed at your business. We do not necessarily endorse the views expressed in the articles and advertisements, nor are we responsible for the products, and services advertised. We are not responsible for licensing or certifying businesses, nor are we responsible for verification of these requirements. We welcome your ideas, articles and feedback. *Dining pictures shown are for illustration purposes only. Actual products may vary due to product enhancement. ANIMALS AND PETS Health E Pets 40 AUTOMOTIVE Ace of Carts 18 Pelican Car Wash ..................... 32 Prime Golf Cars 27 BEAUTY Aesthetics by Kallee 40 BeautyFi MedSpa 12 Salon 1 Studios........................ 39 CLEANING SERVICES Honor Carpet Cleaning ............. 62 Oliver Twist Pressure Washing..20 Stanley Steemer 11 The Groutsmith Grout Cleaning 56 Wonder Sisters Cleaning Service20 Xterior Xperts Pressure Cleaning34 DINING AND ENTERTAINMENT Beneditti’s Pizza 25 Brio Italian Grille 25 Mero Mero Cantina .................. 26 Pierogi Bros 27 Plant Based Ma a 24 Poke N Go ................................ 26 The Grove 24 Tiramisu Pizzeria and Trattoria 27 HOME IMPROVEMENT Affordable and Superior Painting 38 Alliance Group Roo ng ............. 28 Allied Aluminum and Railing 56 Alternate Power Solutions 31 Apex Pavers and Pools ............. 57 Brilliant Roo ng 52 Camco Custom Pools 36 Closets By Design ...................... 6 Coastal Closets and Showers 58 Complete Synthetic Turf 29 Du-All Plumbing ....................... 58 East Coast Electric Screening 28 Eco View Windows ................... 10 Face of Wood 54 Fencing South Florida 47 First Choice Plus ...................... 48 First Impression Doors and More .... 3 FoxHaven Roo ng 15 G & S Painting & Fine Finishes 52 Jupiter Sod and Landscaping ... 14 Kamrell Windows and Doors 63 Kitchen Tune Up 63 Level Best Roo ng ................... 55 Marzo Roo ng Inc 40 Mavit Stone Services 52 Max Guard Hurricane Windows ............................... 22 Max Guard Patio Enclosures 21 North County Plumbing 53 OX Floor Coating ...................... 19 Plantation Shutters Florida 32 Plumb Rite Plumbing 36 PS Flooring Inc. 35 Quality Air of America...............13 Roo ng Systems of FL 42 Saul Tree Services 16 Scollo Painting ......................... 29 Seaglass Window.....................14 Stott Brothers Electric 18 Stuart Roo ng .......................... 38 Total Image .............................. 49 Window Replacement Group 59 Window World of West Palm Beach .................................... 34 Windowz and More 51 Yard Lites 50 Boss Public Adjusting ............... 30 JEWELRY Bergman Jewelers 7 Blue Water Coins ..................... 34 M & J Jewelers 18 Oteri’s Wholesale Jewelry 42 LAWN AND GARDEN IMA Landscaping 54 Tree Trimmers USA 36 MARINE Sovereign Yachts 50 MEDICAL AND HEALTH Abacoa Podiatry ....................... 11 Alpaca Audiology 14 Appearance Implant and Family Dentistry 43 Dentistry By Design ................. 20 Dr. Samuel Holcroft 17 Goals Weight Loss.................... 53 MMJ Health 2 New Beginnings Medical.......... 30 Premier Dentistry 37 Stretch Zone ............................ 45 PROFESSIONAL SERVICES ASAP Dryer Vent Cleaning 50 Demented Graphics 47 Dryer Vent Cleaner, The 16 Mr. Tint of America 44 REAL ESTATE Ana Vega ................................. 12 Beach Front Realty 38 RETAIL Prestige Pawn .......................... 49 The Lamp Connection 16 The Summer House ................. 41 The Yankee Peddler Market 33 Village Bootery ......................... 29 TRANSPORTATION Rick Norwood Travel LLC 36 Travel by Solstice ..................... 34
HURRICANE IMPACT WINDOW SALE OF THE TREASURE COAST Visit Our Showroom Location - 2820 SE Monroe St., Stuart LIC#CGC009090 EcoViewWindows.com/Treasure-Coast 772-758-8640 $760 FREE INSTALLATION ANY SIZE Call Today For A FREE Estimate HIGHEST QUALITY AT THE LOWEST PRICE GUARANTEED! UNDER 101 UI LEAD TIME 4-6 Weeks ∙ NO PRODUCTS ∙ U FACTOR 0.29 ∙ MISSILE-IMPACT RATING D
VOL. 562 N 11 Copyrighted© My Living Media. 2023 All Rights reserved. To Advertise call 772-247-6849 Need More Coupons - MyLivingMedia.com FAMILY OWNED & OPERATED • SCHEDULE ONLINE TODAY AT: WWW.STANLEYSTEEMER.COM FIRE, WATER, & MOLD DAMAGE RESTORATION SERVICE Immediate Response 24-HOUR EMERGENCY Minimum charges apply. Cannot combined with other offers. Residential and Commercial. Must present this MLM Coupon at time of service. Valid at participating locations only. Certain restrictions may apply. Call for details. Lic. #CMC014066 561-404-5668 WWW.STANLEYSTEEMER.COM STANLEY STEEMER SERVICES ® FREE ESTIMATES FOR ALL COMMERCIAL BUSINESSES WE PRETREAT YOUR FLOORS AND MOVE YOUR FURNITURE AT NO CHARGE WE PRETREAT YOUR FLOORS AND MOVE YOUR FURNITURE AT NO CHARGE $99 $129 Expires 4/1/23 MLM Expires 4/1/23 MLM TILE & GROUT OR WOOD FLOOR CLEANING Only PER ROOM 3 ROOMS CARPET CLEANING Wool carpets extra. Area rugs not included in wall-towall cleaning. *Any Room Up to 300 sq. ft. Home & Of ce Air Puri er Removes Viruses, Bacteria, Mold, & Pollen MARBLE & STONE CLEANING $50 OFF Expires 4/1/23 With MLM Coupon Proud to be Endorsed by Cystic Fibrosis Foundation $160 Expires 4/1/23 MLM HOME Which Air Are You Breathing? AIR DUCT CLEANING Up To 8 Vents BEFORE AFTER OFFICE FREE ESTIMATES CALL TODAY COMMERCIAL & RESIDENTAL 561.468.8230 THE PATIENT AND ANY OTHER PERSON RESPONSIBLE FOR PAYMENT HAS A RIGHT TO REFUSE TO PAY, CANCEL PAYMENT, OR BE REIMBURSED FOR PAYMENT FOR ANY OTHER SERVICE, EXAMINATION, OR TREATMENT THAT IS PERFORMED AS A RESULT OF AND WITHIN 72 HOURS OF RESPONDING TO THE ADVERTISEMENT FOR THE FREE, DISCOUNTED FEE, OR REDUCED FEE SERVICE, EXAMINATION, OR TREATMENT. SCAN FOR WEBSITE & SERVICES We accept most major insurance plans & Medicare 4601 Military Trail #202, Jupiter HOURS MONDAY-FRIDAY 8:30AM-5:00PM FOOT, ANKLE, OR VEIN ISSUES? WE CAN HELP! Rel … DR. ORLANDO CEDENO DPM Podiatrist Foot & Ankle Surgeon Located in Jupiter, FL $100 OFF SCLERO VEIN THERAPY With this MLM coupon. Expires 3/18/23 • Foot Ankle Surgery • Bunion Surgery • Cysts & Warts • Fractures & Breaks • Ankle Arthritis • Diabetic Foot Conditions • Minimally Invasive Foot Surgery • Hammer Toe • Ingrown Toe Nails • Varicose Veins Treatment • Neuropathy Solutions • Wound Care • Nerve Decompression in Foot BEFORE AFTER Bunionectomy® & Hammer Digit Minimal Pain…Minimal Incisions…Impressive Results
12 VOL. 562 N Copyrighted© My Living Media. 2023 All Rights reserved. To Advertise call 772-247-6849 Need More Coupons - MyLivingMedia.com BEAUTYFI MEDICAL SPA 1132 W. INDIANTOWN RD. #204 • JUPITER 561-245-1588 SCAN HERE TO VISIT OUR WEBSITE TUESDAY · 11AM-3PM SATURDAY · 10AM-3PM HOURS Exp. 3/05/23. Use code MGZ22 Morpheus8 Skin Tightening FREE Buy 2 Get 1 & *$799 a session. Starting at… * $999 a unit $499 $599 $399 LIP FILLER You! Spring Into a Fresher, More Luxurious… Exp. 3/18/23. Use code MGZ22 Exp. 3/18/23. Use code MGZ22 Exp. 3/18/23. Use code MGZ22
CALL US FOR A FREE, NO OBLIGATION QUOTE 772-325-1603 Guaranteed Pricing for Customized Solutions Technicians are certified by the EPA Licensed, insured, and direct employees 100% Happiness Guarantee Mention Code “FBL23” FREE DUCT SANITAZATION with Air Duct Cleaning! 21-point HVAC inspection Complete AC report card - emailed after service Deep drain line flush Lubricate motors, clean unit housing Ductwork camera inspection A Homeowner’s Essential to Prevent Breakdowns During the Hottest Months! Avoid thousands in repair costs! ONLY $99 • • • Free Air Duct Sanitization is valid when purchased with Air Duct Cleaning and expires on 3/31/23. local@ lterbuy.com (c) 2023 Filterbuy, INC. All rights reserved Florida’s A/C & Duct Cleaning Experts 24 HOUR EMERGENCY HVAC SERVICE FREE SERVICE CALL WITH ANY REPAIR WHITE GLOVE A/C INSTALLATION Virtual or in person consultations Site visits by technicians, not salespeople No worry ownership - 5-year and 10-year Extended Labor Warranties Avoid future headaches - FREE UV lights, surge protectors and drain guards with every install FREE A/C ESTIMATES INTEREST-FREE FINANCING! Includes 2 years of our premium maintenance contract: • FREE air filters • FREE annual condenser coil cleaning • FREE annual replacement parts, surge protectors, and drain guards EXPERT HVAC TUNE-UP
Copyrighted© My Living Media. 2023 All Rights reserved. To Advertise call 772-247-6849 Need More Coupons - MyLivingMedia.com Jupiter Sod & Landscaping 561.768.1337 561.747.7856 FREE ESTIMATES FLORATAM • BAHIA • PALMETTO • BERMUDA Sod Removal & Installation 13049 W. Indiantown Rd. • Jupiter LANDSCAPE DESIGN ROCKS & MULCH PRODUCE HARDSCAPING Over 40 Years of Experience 1st Pallet 10% OFF With this OMS coupon. Expires 3/18/23 Seaglass Window Fashions American Made 561-932-3712 PBG, Jupiter, Palm City, Stuart, Port St. Lucie Plantation Shutters White Poly Vinyl SOLAR SHADES Manual or Motorized available • Zebra Shades • Woven Wood Shades • Honeycomb Shades • Sheer Shades • Wood Plantation Shutters White & Stained Our Jupiter location is centrally located and We welcome you to meet Gabrielle Poplarchick, Jupiter’s One-Stop Shop For Your Hearing Needs! Schedule an appointment for you or a loved one: 2161B S. US Highway 1
We Don’t Just Sell Roofs… We Build Relationships. 772-258-4989 $500 OFF ANY NEW ROOF OF $10,000 or MORE
16 VOL. 562 N Copyrighted© My Living Media. 2023 All Rights reserved. To Advertise call 772-247-6849 Need More Coupons - MyLivingMedia.com • Expert Lamp Repair & Restoration • Bring In Your Lamp For A Proper Fit! Best Selection of Lampshades in Florida! ANY SHADE IN THE STORE Expiration 3/30/23 $10 OFF $39.00 and Up 772.221.0222 Cedar Pointe Plaza 2461 SE Ocean Blvd. Stuart, FL 34996 Custom-Made Lamps & Shades ... Bring Your Lamp for a Proper Fit! Your Complete Source For All Your Trees 772-324-0449 TREE TRIMMING • TREE REMOVAL FREE On Site Estimate Same Day Service 10% off Any Job $100 or more. With this MLM coupon. Cannot be combined with any other offers. Limited Time Only. Other Services: • Full Service Yard Clean Up • Hedge Trimming • Mulching GUARANTEED BEST PRICES! We Will BEAT Any Written Estimate! www.saultreeservicesllc.com
2560 RCA Blvd. Suite 101 • PBG • 33410 • www.pbgdentist.com The patient and any other person responsible for payment have the right to refuse to pay, cancel payment, or be reimbursed for any other services, examination, or treatment which is performed as a result of and within 72 hours of responding to the advertisement for the free service, examination, or treatment. Samuel J. Holcroft D.M.D., P.A. SERVICES INCLUDE Samuel J. Holcroft Family & Cosmetic Dentistry Please Mention Code OMS for discounted prices when booking. WHAT SETS US APART • 0% Financing Thru Care Credit. O.A.C. • Most Dental Insurance Plans Accepted • Adults & Children • Nitrous Oxide Gas & Oral Sedation if Desired • Partials & Dentures • Root Canals • Grinding Guards • Extractions • Digital X-Rays • Routine & Deep Cleanings • Tooth-Colored Fillings & Bondings • Crowns & Veneers • Implants & ImplantSupported Bridges A $400 VALUE. FOR NEW PATIENTS ONLY. May not be used with any other coupon. For best results should be used within 3 months of last cleaning. Expires 3/31/23 EMERGENCY PATIENT SPECIAL TOOTHACHE? $50 With this MLM coupon. Please mention this ad when calling for appointment. Cannot be combined with any other offer. Expires 3/31/23 Including X-Ray (D0220) and Exam (D0140) $200 TEETH WHITENING NEW PATIENT SPECIAL $79 With this MLM coupon. Please mention this ad when calling for appointment. Cannot be combined with any other offer. Expires 3/31/23 Including FMX (DO210), EXAM (D0150) & CLEANING (D1110) Is your dentist open on Friday and Saturday? We are! NOW OPEN FRIDAYS & SATURDAYS! 561-622-5600 MENTION CODE SMILE TO BOOK YOUR APPOINTMENT
18 VOL. 562 N Copyrighted© My Living Media. 2023 All Rights reserved. To Advertise call 772-247-6849 Need More Coupons - MyLivingMedia.com EXPERT FULL SERVICE JEWELRY REPAIR JEWELRY 75 E. INDIANTOWN RD #504 • JUPITER WE BUY GOLD 561.406.2074 20% OFF 50% OFF 50% OFF Any Watch or Jewelry Repair Watch Battery New Diamond & Gemstone Jewelry *Exclusions may apply With this MLM coupon. Expires 3/18/23 With this MLM coupon. Expires 3/18/23 With this MLM coupon. Expires 3/18/23 1-833-ACE-CART(223-2278) Aceofcarts.com Ace of Carts 4880 SE Federal Hwy., Stuart • 2nd Location 552 US Hwy. 1 North, Tequesta Must be a 2022 Model Year Club Car from dealer stock. Offer Valid through March 30, 2023 or while supplies last. Financing is available with standard rates. Not eligible for 0% Financing promotion; offers do not combine. Promo code:MLM822 Over 200 Brand New Club Cars in stock! $1,000 in FREE Accessories, FREE Delivery Destination, & Setup Charges. REGISTER ONLINE TO GET https://aceofcarts.com/red-tag/ • SALES • SERVICE • PARTS Now Open in Tequesta! AUTHORIZED DEALER CARTS IN STOCK & READY FOR DELIVERY NOW HIRING CALL TODAY! Experienced Electricians $50 OFF ANY JOB OVER $500 Cannot be combined with other discounts or offers. With this MLM coupon. Expires 3/31/23 Need An Electrician? FREE ESTIMATES Lic # EC13007910
Copyrighted© My Living Media. 2023 All Rights reserved. To Advertise call 772-247-6849 Garages Patios Pool Decks Driveways & Much MORE! SCAN ME GET STARTED TODAY! Offer Valid for Same-Day Service Only FREE IN-HOME ESTIMATE 30% OFF WE TAKE THE BORING OUT OF YOUR FLOORING!TM 10X STRONGER BOND THAN EPOXY YOUR BEAUTIFUL NEW FLOORING IS JUST A CALL AWAY! 772-277-7562 • 561-277-0375 OXFLOORS.COM WITH THIS MLM COUPON. OFFER EXPIRES 4/1/23 PLUS
Need More Coupons - MyLivingMedia.com Pressure Washing & Roof Cleaning • Screen Enclosure Frames • Driveways • Paver Sealing • Eco Friendly • Much More! www.pwpbg.com Workman’s Comp • Licensed & Insured Our Guarantee - If your house doesn’t look 157% better than before, we will refund you 100% of your money. “We Clean Barrel Tile, Metal, Asphalt Shingle Roofs & Cedar Shake Roofs” GOT MOLD ON YOUR ROOF? CALL OLIVER TWIST TODAY! We Are Commercial Specialists! Call James for Specials! BEFORE AFTER OliverTwist 561-771-0310 Serving South Florida Since 1999 SENIOR DISCOUNTS CALL FOR DETAILS Cosmetic & Family Dentistry NEW YEAR NEW BENEFITS • Emergency Care • Walk Ins Welcome ACCEPTING NEW PATIENTS • Family Dentistry • Cosmetic Dentistry PORT ST. LUCIE Hablamos Español JUPITER Dentistry By Design 3889 Military Trail, Ste.102 Jupiter, FL 33458 www.dbdfl.com Tel: 561-861-2611 GREENACRES Most Dental Insurance Plans Accepted Let Us Take the “CHORE” Out of Your Chores • Move-In & Move-Out Services • • Weekly • Biweekly • Monthly • • One Time & Seasonal • EXPERIENCED • THOROUGH • DEPENDABLE RELIABLE • HONEST • AFFORDABLE Owners on Every Job References Upon Request SATISFACTION GUARANTEED! 772.812.8780 • 772.418.5635 LICENSED/INSURED/BONDED • FREE Estimates • 20% OFF Second Cleaning 20% OFF 40% OFF Third Cleaning Add up the Savings! SAVE A TOTAL OF Not valid with any other offer. Expires 3/31/23 Not valid with any other offer. Expires 3/31/23 AFTER YOUR 3RD CLEANING Not valid with any other offer. Expires 3/31/23 ➡ ➡ NEW CUSTOMER SPECIAL
VOL. 562 N 21 Copyrighted© My Living Media. 2023 All Rights reserved. To Advertise call 772-247-6849 Need More Coupons - MyLivingMedia.com *Max Guard is not responsible for delays outside of its reasonable control, including but not limited to HOA and permitting approval or manufacturing delays. MAX GUARD provides impact-rated products, engineering, and installation services by CONVERTING your “existing” screened (or open) patio to an enclosed livable room by installing hurricane-rated windows and doors. (Our converted patio enclosures require that customer’s existing patio has a roof and a oor/slab.) SCAN TO SCHEDULE YOUR APPOINTMENT ENJOY YOUR ENCLOSURE 24/7, 365 DAYS A YEAR YOU CAN’T AFFORD HURRICANE WINDOWS? THINK AGAIN! $169 AS LOW AS PER MONTH New orders only. Minimum purchase required. Offer not valid with any other offer, or previous job. Contractor is neither a broker or lender. Financing is provided by third party lenders unaffiliated with Contractor, under terms and conditions arranged directly between the customer and such lender, all subject to credit requirements and satisfactory completion of all documents. Any finance terms advertised are estimates only. Some restrictions apply. 30% Federal Tax Credit ON ENERGY EFFICIENT WINDOWS & DOORS *Up to $1,000. Call for details. www.myhurricanewindow.com with amazing PACE Financing Available Vinyl Energy Efficient HURRICANE WINDOWS 561-566-7230 • 772-758-7360 CALL NOW & WE’LL MATCH YOUR TAX CREDIT INTEREST-FREE FINANCING for 24 MONTHS! **ZERØØ! Until 2025! Ø Interest Ø Payments Licensed & Insured SCC131151738
www.myhurricanewindow.com 24 MONTHS PER MONTH WHOLE HOUSE OF WINDOWS & DOORS Starting at 0% $169 Current Reviews 4.9 or
Licensed & Insured SCC131151738 561-566-5629 772-932-5629 New orders only. Minimum purchase required. Offer not valid with any other offer, or previous job. Contractor is neither a broker or lender. Financing is provided by third party lenders unaffiliated with Contractor, under terms and conditions arranged directly between the customer and such lender, all subject to credit requirements and satisfactory completion of all documents. Any finance terms advertised are estimates only. Some restrictions apply. Scan to schedule your APPOINTMENT! HURRICANE WINDOWS AND DOORS
24 VOL. 562 N Copyrighted© My Living Media. 2023 All Rights reserved. To Advertise call 772-247-6849 Need More Coupons - MyLivingMedia.com “The best restaurant I’ve ever been to, the food is amazing.” –Nina Charles 15% OFF ENTIRE MENU • Award-Winning Sweet-Heat Marinara • 1.5 Years in Business • Close to 700 reviews and 99% of them are ★★★★★ • Owners are (2) Italians and (1) Irishman from New York www.plantbasedma a.com 561-783-5131 7100 Fairway Drive, Suite 52 Palm Beach Gardens Sun - Thurs 11am to 9pm Fri - Sat 11am to 10pm Sat - Sun - Bangin Brunch 11am to 3pm Must present this coupon to your server. Not valid on tax or gratuity. Cannot be combined with other offers. One coupon per table per visit. Expires 3/31/23. Visit our website to join The Grove Wine Club, view our catering & dine-in menus, our upcoming wine dinners & events or reserve a table. The Grove Cucina & Wine Bar The Marketplace at Hobe Sound • 8815 SE Bridge Road • Hobe Sound, FL 33455 772-402-5410 • thegrovehobesound.com “The Grove serves every meal and glass with a heart of hospitality.” Jen & Luis Jen & Luis- Sommeliers, Owner/Operators
VOL. 562 N 25 Copyrighted© My Living Media. 2023 All Rights reserved. To Advertise call 772-247-6849 Need More Coupons - MyLivingMedia.com From our fresh seafood, grilled steaks and house-made pastas, our dishes are sure to satisfy. See for yourself and join us for lunch or dinner today! The Gardens Mall / 3101 / PGA Boulevard / Palm Beach Gardens 561.622.0491 THE PERFECT DINNER FROM ROMANTIC ITALY Call Today To Make A Reservation! To Go/Curbside/Delivery Available The Perfect Start to Any Meal FREE APPETIZER! Enjoy One FREE Appetizer with the Purchase of Two Entrees* Must purchase two entrees at full price to receive free appetizer. Dine in only. May not be combined with any other offers or discounts. Present coupon to redeem offer. Dine In Only! Expires 3/18/23 Sun -Thurs: 11am - 9 pm Fri -Sat: 11 am -10 pm www.brioitalian.com JOIN US FOR OUR FAMOUS HAPPY HOUR MONFRI 3PM  6PM 3755 Military Trail Suite B8 Jupiter • www.benedittis.com 561-250-6523 Mon.- Thur: 11am - 8pm Fri. & Sat: 11am-9pm • Sunday 12pm-9pm BEST PIZZA IN TOWN DINE-IN TAKE-OUT DELIVERY 2 LARGE CHEESE PIZZAS WITH ONE TOPPING MON-WED CASH SPECIAL LARGE CHEESE PIZZA 1 LARGE CHEESE PIZZA AND 10 WINGS $2999 $2599 Must present MLM coupon. Cannot be combined with other offers. Dine in, Take out, or Delivery Expires 3/18/23 Must present MLM coupon. Cannot be combined with other offers. Dine in, Take out, or Delivery Expires 3/18/23 Must present MLM coupon. Cannot be combined with other offers. Dine in, Take out, or Delivery Expires 3/18/23 $1249 Pickup Only
26 VOL. 562 N Copyrighted© My Living Media. 2023 All Rights reserved. To Advertise call 772-247-6849 Need More Coupons - MyLivingMedia.com 950 SE Indian St, Stuart (772) 888-1854 • MeroMeroCantina.com Kids Eat FREE on Sundays Everyday 3-6 (All Day Tuesdays & Sundays) HAPPY HOUR Offers are good for dine in only With the Purchase of Adult Entree LUNCH SPECIAL DINNER SPECIAL BIRRIA TACO Buy One, Get OneBuy One, Get One FREE FREE FREE (Of equal or lesser value) One coupon per visit. Cannot be combined with other coupons. Expires 3/30/23 (Of equal or lesser value) One coupon per visit. Cannot be combined with other coupons. Expires 3/30/23 With the purchase of any food item (With exception of sides) One coupon per visit. Cannot be combined with other coupons. Expires 3/30/23 SCAN HERE SIMPLE • HEALTHY • FRESH! 1155 MAIN ST #112 JUPITER 561-557-3949 SCAN FOR MENU On Any Boba Teas FREE Buy 1 Tea, Get 1 Cannot be combined with any other coupons or offers. Expires 3/18/23 • Build Your Own Poke Bowl • Boba Teas • Japanese Desserts Located at Downtown Abacoa
VOL. 562 N 27 Copyrighted© My Living Media. 2023 All Rights reserved. To Advertise call 772-247-6849 Need More Coupons - MyLivingMedia.com HAPPY HOUR 3-6 PM Daily WINE DOWN WEDNESDAY 50% OFF All Wines by the Glass & Bottle ALL DAY!! FREE Bottle of Wine with $50 Purchase $25 3-Course Menu $58-$60 Family Meals to Go (Temporary hours: 3-9 pm) INDOOR/OUTDOOR Social Distance Dining Available TAKEOUT • CURBSIDE PICKUP FREE DELIVERY (with $20 or more within 5 miles) ORDER ONLINE 561.444.3345 MONDAY & TUESDAY LARGE CHEESE PIZZA $10 Pick Up Only Cash Only With this MLM coupon. Not valid with any other offers. Expires 3/31/23 WEDNESDAY BUY 2-TOPPING PIZZA GET ONE LARGE CHEESE PIZZA  Pick Up Only & Delivery Only With this MLM coupon. Not valid with any other offers. Expires 3/31/23 FREE 12100 Hwy., US-1 Ste A • North Palm Beach www.TiramisuPizzeria.com • Like & Follow Us! PRIMEGOLFCARS.COM SALES • RENTALS • REPAIRS HUNDREDS OF ELECTRIC LITHIUM & GAS GOLF CARTS AVAILABLE • New & Used Carts • Lithium Battery • Rims, Tires, & Lift Kits • 2, 4, 6, & 8 Passenger Seat Carts • American EV Golf Carts • Bintelli Golf Carts • E-Z-GO Golf Carts • Evolution Golf Carts • Elite EV Golf Carts • Club Car Golf Carts • Kodiak Golf Carts • Yamaha Golf Carts • Roadster Golf Carts 561-601-5671 7100 N MILITARY TRL., FL• RIVIERA BEACH VISIT OUR OTHER LOCATIONS IN LANTANA, FT. LAUDERDALE & MIAMI SCAN TO SEE OUR INVENTORY FINANCING AVAILABLE Vero Beach 1669 Old Dixie Hwy 32960 Authentic Scratch-Made Pierogies from Our Family to Yours! Nationwide shipping, local dine in, takeout & delivery. (561) 720-2498 • 813 Donald Ross Rd, Juno Beach $5 Off Order Here Scan for Menu When you spend $20 or more! With this MLM coupon. Expires 3/18/23
28 VOL. 562 N Copyrighted© My Living Media. 2023 All Rights reserved. To Advertise call 772-247-6849 Need More Coupons - MyLivingMedia.com Motorized Roll-Up Screens for Garages, Patios, or Lanais YOUR LOCAL SCREEN & AWNING DEALER. RATED #1 IN SERVICE 561-349-6788 FlaScreens.com Serving Port St Lucie to Boca Raton • Visit Our Showroom at: 2885 Jupiter Park Dr. • Suite 1900A • Jupiter, FL 33458 • Power Screens • Retractable Awnings • Nano Bugmesh • Solar Fabrics • FREE In-House Estimates ENTERTAIN OUTDOORS YEAR ROUND! Let The Fresh AIR IN, Keep the BUGS OUT. Lic.# U-20970
VOL. 562 N 29 Copyrighted© My Living Media. 2023 All Rights reserved. To Advertise call 772-247-6849 Need More Coupons - MyLivingMedia.com 10% OFF Any Job Must Present This MLM Coupon Painting Interior/Exterior Popcorn Removal Knock Down Textures Crown Moulding Dry Wall Repairs John 561-306-1813 MC Lic # CPT 4946 • PBC Lic #U-14183 SCOLLOPAINTINGINC@GMAIL.COM Scollo Painting Inc VILLAGE BOOTERY SHOE STORES 245 U.S. Highway One • Tequesta 561.746.3536 2641 S.E. Ocean Blvd. • Stuart 772.283.3833 $10 OFF Your next Village Bootery purchase Expires 3/18/23. Discount not available on sales merchandise. • Lawn Grass • Batting Cages • Bocce Courts • HOA Playgrounds • Putting Greens • Pet Grass • Pool Areas • Paver Strips With a combined experience of 60+ years, Complete Synthetic Turf is the trusted choice for artificial grass installation on The Treasure Coast! Complete synthetic Turf has the look and feel of natural grass. Always picture perfect! 7715 SW Ellipse Way, Stuart 772.494-2481 We look forward to exceeding your expectations in everything we do! FREE CONSULTATION FREE DESIGN FREE ESTIMATE 100% Satisfaction Guaranteed! Like Us On Facebook
30 VOL. 562 N Copyrighted© My Living Media. 2023 All Rights reserved. To Advertise call 772-247-6849 Need More Coupons - MyLivingMedia.com BossPublicAdjusting.com Nader Anthony - Lic# P002749 This is a solicitation for business. If you have had a claim for an insured property loss or damage and you are satis ed with the payment by your insurer, you may disregard advertisement. YOUR DAMAGE MAY BE COVERED BY INSURANCE FREE FREE 10-POINT INSPECTION SPECIAL NO RECOVERY • NO FEE WE WILL GET YOU MONEY FOR REPAIRS GUARANTEED OR YOU DON’T PAY US A PENNY! PLUMBING LEAKS ROOF DAMAGE BROKEN WINDOWS FIRE MOLD FREE Policy claim and review 561-861-2677 BOSS Public Adjusting Commercial & Residential *TeleHCG.com or *NewBeginningsMedical.com Simple 3 Step Process Video Or Phone Dr. Consultation Go Online to* Delivered To Your Residence From A USA Pharmacy FREE Our 3 Most Popular Weight Loss Products HCG Human Chorionic Gonadotropin BELLA FDA Approved Phentermine SEMAGLUTIDE FDA Approved for Weight Loss Quick Weight Loss 30-60 Day Program Loss Up to 1Lb. Day 25-40Lbs. Yes Light Required Daily Injection Included Gradual Weight Loss 30 Day Program Appetite Suppressant Variable Weight Loss No Moderate Required Daily Pill Fee Initial Order Only Long-Term Weight Loss Monthly Program Avg Weight Loss 53Lbs. Over 68 Weeks No Moderate Required Weekly Injection Included Diet Exercise Prescription Dosage Dr. Consultation Need Help Deciding Which Is Best For You? Call now and experience a truly personal approach to Weight Loss CALL US (877) 424-9994
32 VOL. 562 N Copyrighted© My Living Media. 2023 All Rights reserved. To Advertise call 772-247-6849 Need More Coupons - MyLivingMedia.com Buy a PLATINUM YACHT WASH and RECEIVE a PLATINUM YACHT WASH for Free ($35 Value) Sign Up with any Membership SAILBOAT OR HIGHER & RECEIVE 2ND CAR AT NO CHARGE FOR FIRST 3 MONTHS OR 1/2 OFF 1ST CAR FOR FIRST 3 MONTHS. 11370 US-1 NORTH PALM BEACH 5616009281 Come Visit Our Newly Remodeled Store & Indoor Customer Waiting Area AC, TV, ATM, Cold Beverages & Snacks WE ALSO SPECIALIZE The New Pelican Car Wash $25 OFF FREE NEW OWNERS! NEW EQUIPMENT /pelican_car_wash /PelicanAutoWash ALL Prices Subject to change. Prices Will Vary Due to Size & Condition of Your Vehicle PLATINUM YACHT WASH MEMBERSHIP SPECIAL UNLIMITED MEMBERSHIP ANY FULL SERVICE DETAIL Expires 3/31/23. Pelican Car Wash. Expires 3/31/23. Pelican Car Wash. Expires 3/31/23. Pelican Car Wash. Men’s Day Every Tuesday Women’s Day Every Wednesday Regular Starting at $150 Prices Will Vary Due to Size & Condition of Your Vehicle NEED SHUTTERS THIS WEEK? Family Owned & Locally-Manufactured Plantation Shutters • ANGLES & RAKES • ARCHES & SUNBURSTS • OTAGON, CIRCLE, HEXAGON • SILL COVERS & CAPS HORIZONTAL ARCH PLANTATION SHUTTERS SUNBURST PLANTATION SHUTTERS www.plantationshutters a.com Treasure Coast Palm Beach 772-600-4253 or 561-420-0418 Visit our manufacturing shop at: 406 Farmers Market Rd Ft Pierce, FL 34982 IN-HOME ESTIMATES FREE $1695 SQ. FT. INSTALLED Starting at Plantation Shutters Florida™ Your Plantation Shutter Specialist Plantation Shutters Florida™ We are the Real Manufacturer Licensed & Insured CALL TODAY AND GET UP TO 10% DISCOUNT Restrictions may apply.
12174 US-1 · NORTH PALM BEACH 561-556-6022 MON-FRI 8AM-6PM · SAT 8AM-5PM · SUN 10AM-3PM ANY PURCHASE OF $25 OR MORE ANY PURCHASE OF $50 OR MORE With this MLM coupon. Expires 3/31/23 With this MLM coupon. Expires 3/31/23 FRESH DAILY LOCAL $5 OFF $10 OFF NOW BEFORE
Copyrighted© My Living Media. 2023 All Rights reserved. To Advertise call 772-247-6849 Need More Coupons - MyLivingMedia.com 561-782-3078 travelbysolstice.com/kylaLicensed & Insured Specializing in Travel Experiences in Luxury Destinations Luxury Travel Agent • Luxury Trips • Group Trips • Business Trips • River Cruises • Destination Weddings 561-462-8338 Driveway Cleaning with Purchase of Roof Cleaning FREE Up To 2500 SqFt Must Present MLM Coupon PRESSURE CLEANING Commercial & Residential • Rust Removal • Gutters • Driveways & Roof Sealing • Roofs • Driveways • Screen Enclosures • Porch & Patio $600 ON WINDOWS $500 ON DOORS Receive up to $1100 IN FEDERAL TAX CREDITS* WINDOWS • ENTRY DOORS • PATIO DOORS • INSULATED SIDING • SHUTTERS • TRIM “Not only do we stand behind our windows... we stand on them!”® - Dennis Burdge For J.D. Power 2022 award information, visit jdpower.com/awards Highest in Customer Satisfaction Among Window & Patio Door Retailers Lifetime Limited Warranty Guaranteed Low Pricing INTEREST 0% 15 MONTHS1 LIMITED TIME ONLY! IMPACT WINDOWS STARTING AT Hurricane Impact White Vinyl Double Hung Insulated Window $599 COMPARE AT $1,000 This Window World® franchise is independently owned and operated by West Palm Windows and Doors LLC d/b/a Window World of West Palm Beach under license from Window World Inc. Fully licensed & insured. License No. CGC1514205 Previous sales are excluded and o ers cannot be combined. 1No interest if paid in full within 15 months with regular monthly payments. Bank approval needed. Must qualify. Ask for details. *Select products only. Ask for details. For more information, consult your tax advisor and visit EnergyStar.gov. 3927 Westgate Ave., West Palm Beach, FL 561-291-7578 WindowWorldOfWestPalmBeach.com FREE IN-HOME QUOTES! • JEWELRY • DIAMONDS • ROLEX WATCHES PLUS… • BULLION • PAPER MONEY • COINS • STAMPS Greg Harding, A Full-Time, PROFESSIONAL COIN DEALER with over 35 years of experience. • FOREIGN COINS • ANCIENT COINS • SHIPWRECK COINS • SET OF COINS • BAGS OF COINS • ALBUMS OF COINS • GRADED COINS • COIN COLLECTIONS Email your coin list to BlueWaterCoins@gmail.com U.S. MINT COMPETITIVE BUYER CALL ME Blue Water Coins SCAN HERE for Website COMPETITIVE BULLION BUYER Professional Coin & Stamp Buyer 772-529-1008 GET CASH INSTANTLY FOR:
36 VOL. 562 N Copyrighted© My Living Media. 2023 All Rights reserved. To Advertise call 772-247-6849 Need More Coupons - MyLivingMedia.com • New ���������� • Ren��������i��n�� • Rem��������in�� • Rep�������� • Res��������ci���� Your Backyard Oasis Awaits… New Pool Construction 561-782-4644 Camco Pools New Construction & Renovations $1500 off With this MLM coupon. Expires 4/2/23 Licensed & Insured CFC1427336 561.533.7070 PlumbRitePlumber.net $30 OFF ANY SERVICE With this MLM coupon. We have got your plumbing problems covered. Services we offer: • Sewer, Drain Stoppages, and Clogged Lines • Plumbing Leaks and Repairs • Water Heater Installation, Repair, and Replace • Electric Roto-Rooter Service • High Water Pressure Sewer Jetting • Leak Detection • Camera Inspection 24/7 EMERGENCY SERVICE 772.475.8299 RICKNORWOODTRAVEL.COM Take e Trip Travel be er wi us AS SEENONTV SAVE 50% On the First $200 of Work MINIMUM JOB $350 Must be presented at time of estimate. With this coupon. Cannot be combined with other offers. Expires 3/31/23
VOL. 562 N 37 Copyrighted© My Living Media. 2023 All Rights reserved. To Advertise call 772-247-6849 Need More Coupons - MyLivingMedia.com 561-903-4811 1001 W. INDIANTOWN ROAD • STE. 106 JUPITER, FL 33458 www.Yourpremierdentist.com WELCOME TO PREMIER DENTISTRY We are available for your dental emergencies! Having a smile you’re proud to share shouldn’t be dif cult or break the bank. We know how important it is to have a smile that lets you feel and look good, which is why our team strives to give you the dental care you deserve. Our dentists are committed to providing high-quality family, cosmetic, and advanced dentistry to each and every patient. PAYMENT PLANS FOR EVERYONE! Premier D entistry SMILE! YOU’RE IN GOOD HANDS TRUSTED & AFFORDABLE DENTAL CARE With this MLM coupon. Expires 3/18/23 New Patients Only $49 EMERGENCY EXAM With X-Rays With this MLM coupon. Limited time offer. New Patients Only WELCOMING HEALTHY MOUTH CLEANING $79 Exam & X-Rays With this MLM coupon. Expires 3/18/23 New Patients Only Complimentary Invisalign Consultation with $500OFF Treatment (full case) Premier D entistry SMILE! YOU’RE IN GOOD HANDS DR. CASEL
38 VOL. 562 N Copyrighted© My Living Media. 2023 All Rights reserved. To Advertise call 772-247-6849 Need More Coupons - MyLivingMedia.com 132 NE Dixie Hwy., Stuart, FL 34994 Licensed & Insured State Certi ed License #CCC024411 Serving Martin & Palm Beach Counties for Over 30 Years! “You’ve tried the rest…now call the Best!” Re-Roof & Repair Specialists METAL ROOFS Starting At Starting At $17,500 TILE ROOFS (Minimum 3500 Sq Ft of Roof) $24,500 (Minimum 3500 Sq Ft of Roof) 772-692-9854 Re-roofs • Repairs • New Construction • Cement & Clay Tile Fiberglass Shingles • Wood Shakes • 5-V & Standing Seam Metal Built-up Modi ed Rubber • Residential & Commercial 25- to 50-Year Material Warranty Available 5- to 10-Year Labor Warranty Available Martin County’s Trusted Name Since 1980! Affordable Painting AFFORDABLE & SUPERIOR PAINTING affordableandsuperiorpainting@gmail.com 772-227-1398 20% 10% OFF OFF EXTERIOR PAINTING OVER $1595 One Per Customer. Must present this MLM coupon Cannot be combined with other offers. Expires 3/31/23 One Per Customer. Must present this MLM coupon Cannot be combined with other offers. Expires 3/31/23 INTERIOR PAINTING STARTING @ $2995 SPRING SPECIALS •INTERIOR PAINTING •EXTERIOR PAINTING •FENCE PAINTING •DECK STAINING •DRIVEWAY STAINING •CABINET PAINTING FREE DRIVEWAY POWERWASH W/EXTERIOR PAINTING FREE ESTIMATES & FINANCING AVAILABLE SCAN HERE TO VIEW OUR GALLERY myaffordableandsuperiorpainting.com Who Do You Want to Represent the Sale of Your Property? 561-933-6338 4 bedrooms 3 bath luxury home in beautiful “Sanctuary’’. So many renovation including new roof, new sprinkler system, new pool heater and pump, new upstairs air conditioning unit, new appliances, 2 ovens & 2 refrigerators. New closet organizing systems. In addition, all 3 bathrooms are updated and the entire interior and exterior of the home has been painted. There is a new barbecue entertainment center and a new backyard patio paver system. This home is truly spectacular!! MLS#R10857998 $1,350,000 Call Je rey Ginsburg 40 Years of Representing Buyers & Sellers 561-993-6338 for a Private Showing An Old Dog with 40 Years of REAL ESTATE Experience A Baby wth No Experience in REAL ESTATE or FREE CONSULTATION on the Value of Your Home
VOL. 562 N 39 Copyrighted© My Living Media. 2023 All Rights reserved. To Advertise call 772-247-6849 Need More Coupons - MyLivingMedia.com JUPITER, FL THREE PALMS CENTER Suite Rental Chair Rental Stylist Commission (561)748-3334 ULTIMATE HAIR SALON
40 VOL. 562 N Copyrighted© My Living Media. 2023 All Rights reserved. To Advertise call 772-247-6849 Need More Coupons - MyLivingMedia.com RESIDENTIAL & COMMERCIAL • Shingles • Synthetic Shingles • Metal • Tile • Aluminum 1500 N Florida Mango Rd Suite 3 • WEST PALM BEACH (561) 264-6233 $500 Off $1000 Off Any Roof $10,000 or more. Any Roof $20,000 or more. Must present coupon when signing contract 3/31/23 Must present coupon when signing contract 3/31/23 not be co Put a Hold on Aging BEFORE AFTER BEFORE AFTER Ca for your A ointment Today 561-529-4982 $50 OFF $400 ABOUT OUR SEMAGLUTIDE SPECIAL Any Service Cannot be combined with other offers. Expires 3/30/23 Cannot be combined with other offers. Expires 3/30/23 NEW CLIENT SPECIAL LIP FILLER www.aestheticsbykallee.com STARTING AT: YOUR NEXT PRODUCT PURCHASE EXCLUDING FOOD & GROOMING Natural Pet Food • Boutique • Grooming Catering to Your Pet’s Health! 155 Toney Penna Drive, Suite 6, Jupiter, FL 33458 1/2 mile South of Indiantown Road, between Alternate A1A & Military Trail Largest selection of natural, holistic & raw pet food including raw meaty bones, chicken necks & tripe. 561.748. PAWS 7297 info@healthepetsmarket.com WWW.HEALTHEPETSMARKET.COM Must present coupon at time of service. Not valid with any other offer. Expires 3/18/23 Certi ed NutritionPet Specialist Healthy options for cats and dogs include supplements and vitamins, plus all of your pet’s favorite treats. 10%off Toys • Bones • Bedding • Leashes • Collars • Grooming Supplies and more. (Mon.-Sat.) • 8:30am - 7:00pm (Sunday) • 11:00am - 4:00pm
The Salt, Sand, & Sea Classic & Timeless Furniture, Unique Coastal Lighting, Accessories, & Rugs Located in the YumYum Plaza 815 S. US Hwy. 1 Jupiter FL summerhousefurniture.com Mon.-Sat. 10am-6pm | Sun. 12:30pm-5pm HOME FURNISHINGS INSPIRED BY 561-781-3696
42 VOL. 562 N Copyrighted© My Living Media. 2023 All Rights reserved. To Advertise call 772-247-6849 Need More Coupons - MyLivingMedia.com $500 OFF $75 OFF FREE Any New Roof $8000 & Up Any Roof Repair $750 & Up Estimates On Roofs & Repairs Expires 3/31/23 Expires 3/31/23 Expires 3/31/23 561-566-5601 www.myroofsystem.com WHERE QUALITY & SERVICE MAKES THE DIFFERENCE CALL FOR A FREE ROOF EVALUATION TODAY! From… PROTECT YOUR PROPERTY WITH EXPERT ROOFING • ROOF REPAIR • ROOF REPLACEMENT • ROOF LEAK DETECTION • NEW CONSTRUCTION Located at: 651 W. Indiantown Rd., Jupiter • 561-746-2345 FREE Cleaning 50% Off Any Watch Battery MLM Coupon expires 3/18/23MLM Coupon expires 3/18/23MLM Coupon expires 3/18/23 20% Off Any Repair

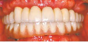
“Hi, I’m Mark Lindsay, and that was me on the Ed Sullivan Show. I sang every hit song for Paul Revere & the Raiders, including ‘Kicks,’ ‘Indian Reservation,’ and my solo ‘Arizona.’ My trademark was a ponytail and a teen idol smile. The ponytail’s been gone for awhile, but as a singer my smile is still super important. I recently visited Appearance Dental for an implant and crown procedure. The staff was courteous and made me feel comfortable from the moment I walked in the door. I was really impressed with their dental office and the dentist did an outstanding job. Appearance Dental transformed my smile, and I trust them to keep my smile looking revolutionarily good.” — Mark Lindsay

Read all of our testimonials at AppearanceImplants.com

WE WILL MEET OR BEAT ANY WRITTEN ESTIMATE ON IMPLANTS, ROOT CANALS, & CROWNS!

VOL. 562 N 43 Copyrighted© My Living Media. 2023 All Rights reserved. To Advertise call 772-247-6849 Need More Coupons - MyLivingMedia.com OPEN FOR EMERGENCIES | AFFORDABLE DENTAL EXCELLENCE IS NOW HERE! WE ARE PRIVATELY OWNED, NOT A CHAIN OR CORPORATE ENTITY. WE SPECIALIZE IN FULL MOUTH RECONSTRUCTION Additional services we offer include CLEAR TOOTH ALIGNERS, SINGLE IMPLANTS, DENTURES & MORE!!! FREE IMPLANT CONSULTATION (Exam & Digital X-Ray or 3D Cone Beam) (D0150, D9310, D0330 & D0383) SureSmile® OR CLEAR TEETH ALIGNERS OUR EXPERIENCED DENTISTS HAVE PLACED THOUSANDS OF IMPLANTS You Des ve a Beautiful Smile! SALVATORE MELITA, DDS ALANA SHIELDS, BSN, RN, DMD JOSEPH GAETA JR., DDS Better On 8™ Cleaning Porcelain Fused to Metal Crown Zirconium All Porcelain Crown $79 $699 $899 Includes Free Exam & X-Rays New Patients Only LIMITED OFFER (D1110, D0150, D4355,D0330) (D2751) (D2740) FULL ROUND HOUSE BRIDGE A Better Alternative to All-On-4 Benefits • Very little, if any speech changes • Does not cover any part of the palate • Can be cleaned just like bridges on teeth • Require no special abutments (All-on-4 protocol requires angle correct on abutments which are not bone or gum tissue friendly) • Usually do not need pink porcelain at the gumline (because aggressive bone removal is not necessary) D6010, D6056, D6240, D6060 BETTERON8.COM D6010, D6056, D5863, D5865, D5862 PER ARCH WITH LOCATORS PER ARCH D6010, D6056, D6065, D6060 50% SAVINGS WE USE MEGAGEN IMPLANT SYSTEMS Implant, Abutment, and Zirconium Crown Implant, Abutment, and Crown Only$1,899 Only$2,099 D7140 DENTURES ECONOMY $359 INTERMEDIATE $999 DELUXE $2,000 D5810/D5811 D5130/D5140 D5110/D5120 With Simple Extractions Starting at $99 We will beat any like-priced quote $9,999 Implant and Abutments Placed Crown and Bridge Porcelain Fused to Metal Implant Abutments Placed $14,500 FULL MOUTH RECONSTRUCTION ROUND HOUSE BRIDGE 8/6 IMPLANTS & 12 UNITS OF CROWNS starting at starting at TR-1968533.INDD SALESPERSON:MelissaKelley ISOUR37YEARTRADITION DentistOwned,Not “Hi,I’mMarkLindsay,andthat smeontheEdSulli nSho Isang eryhitsong fo Paul Reve &the Raiders, including ‘Kicks,’ ‘Indian Reservation,’and my solo ‘Arizona.’Mytrademark saponytailandateenidolsmile.Theponytail’sbeen go fo awhile,butasasinger my smileisstillsuperimportant.I cently visited TraditionDental foranimplantandcrownprocedure. Thestaff scourteousandmademe feelcomfortablefromthe momentI lkedinthedoor.I allyimpressedwiththeir dentalofficeandthedentistdidanoutstandingjob. Tradition Dentaltransformed my smile,andItrustthemto keep my smile looking lutionarily good.” —MarkLindsay TRADITIONDENTALGROUP 772-207-1213 ILABLE,MOSTINSURANCESACCEPTED
WALK-INS WELCOME EVENING APPOINTMENTS AVAILABLE PRICES ARE SUBJECT TO CHANGE WITHOUT NOTICE WITH THE EXCEPTION OF PREVIOUSLY SCHEDULED TREATMENT PLANS. THE PATIENT AND ANY OTHER PERSON RESPONSIBLE FOR PAYMENT HAS THE RIGHT TO REFUSE TO PAY, CANCEL PAYMENT OR BE REIMBURSED FOR ANY SERVICE EXAMINATION OR TREATMENT WHICH IS PERFORMED AS A RESULT OF AND WITHIN 72 HOURS OF RESPONDING TO THE ADVERTISEMENT FOR THE FREE, SERVICE, EXAMINATION OR TREATMENT. LIC #DN10761 561-250-6307 6390 W. Indiantown Rd., #32 • Jupiter, FL 33458 At the West End of the Chasewood Plaza AppearanceImplants.com SCAN HERE OPEN MON.-FRI. EVENING HOURS AVAILABLE

For What It’s Worth

Ok, so here’s the latest scoop on the medical situations regarding my last several columns, having to do with inability to get to a doctor from Cleveland Clinic in a timely manner. Yes, for those of you who insisted I name the dreaded hospital that I was writing about, it is, in fact, Cleveland Clinic. e reason I am now going to put a name to the place is because I was invited by Dr. Singh, the President of Cleveland Clinic to have a meet and greet this a ernoon. Just when you think you know how your week is going to go, wham, a personal invitation to speak with the president himself, who read my articles and wanted to talk. Okay, so I’ll admit I was nervous, anxious, worried, but also armed for bear in the event that he wanted to minimize the situation, but in fact, surprisingly, he was caring, open to suggestions, and transparent with regard to how Cleveland Clinic took over Martin Memorial North and South, and what he strived for going forward. I was impressed, and I’m not easily sold on lip service, but between him and the head of Patient Experiences, Karen Ludwig, who was also present, it was apparent that he knew and understood the frustrations the general public has been experiencing getting seen by a physician in a timely manner.

I have to give him credit. His information was forthcoming, addressing my concerns, sometimes even before I had

the chance to list them. Also to his credit, he was young-ish, a physician himself, and has only been the president of the hospital for one year. In that year, he and Karen had an earful of complaints and they had plans to address all of them by way of hiring almost 60 new physicians, twice as many nurses, and ongoing training for those people on the front lines, who take the calls and make appointments. I was shocked, in a good way. He never tried to make excuses, nor did he make false promises. He said getting things turned around was not going to happen overnight, but he does strive to make this hospital the best it can possibly be, within a reasonable amount of time. He is there to speak with, to read emails, and to even give out his cell phone number (No, sorry, I can’t pass it along, lol) but from what I understand, he has done that frequently to others as well.

He loves this community, he loves this hospital, and he loves medicine. He is not one of those people who sits in their ivory tower, having no pulse on medical practices. He wants to do better, and promises he will do better, but this is what he has been handed, well, that, and the pandemic, which has seen the resignation of good nurses and doctors who no longer wish to expose themselves and their families to infection. I get

it. Much as I loved hospital nursing, I have asked myself many times if I had stayed in nursing, would I quit? I feel like the answer is a hard “no” but it’s easy to say from the sidelines, and not in the midst of potentially deadly chaos.

My point is this. He wants things to change, and he has ideas to change them, many of which it is not my place to share. I came in with a list of suggestions, but before I could get my ideas out of my mouth, he already verbalized them. We were on the same page! So, the bottom line is this.

For What it’s Worth, he’s young, he’s enthusiastic, he wants to make things better, and he wants Cleveland Clinic, Stuart, to be exactly what we all want it to be, a place we can trust with our very lives. Let’s be fair and give him time to get it together. If I was a gambler, I think I’d put my money on him.

44 VOL. 562 N Copyrighted© My Living Media. 2023 All Rights reserved. To Advertise call 772-247-6849 Need More Coupons - MyLivingMedia.com • Residential • Commercial • Marine WINDOW TINTING NO AUTOMOBILES off $30 Any order over $100 Exp. 3/31/23
www.mrtintofamerica.com BEFORE AFTER
Over 40 Years of Experience
Comments or Suggestions DrMelfi@mediaoms.com

Every 5,000 miles, like clockwork, you take your car to get its oil changed and tires rotated. It’s basic, routine maintenance, but that consistent attention and upkeep is vital for your vehicle to run e ciently, especially over a number of years. Your body, much like your vehicle, requires regular care and treatment to keep it healthy. And, again like your automobile, your body needs support from someone other than yourself, a professional who can guide it to achieving its utmost abilities and to retaining its peak performance.

Getting older, playing sports, or having a condition like sciatica or arthritis shouldn’t hold you back from living your life! You can feel like your younger self again, the one who didn’t feel any aches or pains when walking, running, jumping, or even sitting… all you have to do is visit Stretch Zone.

Drew Brees, former quarterback of the New Orleans Saints, is the newest partner at Stretch Zone who advocates for people to regularly get stretched. A er personally going to Stretch Zone for an assisted stretching session, Drew was impressed with the uniquely e ective and nationally accredited Stretch Zone Method®, which is administered by a highly-trained and Stretch Zone-certi ed stretch practitioner.

Here’s How It Works:

1.) Your rst session begins with lling out an intake form and having a consultation with your experienced and knowledgeable stretch practitioner. Based on your medical background and your personal goals, the stretch practitioner will personalize the ensuing 30-minute assisted stretching session to meet your individual needs. On subsequent visits, you’ll simply do a check-in with the practitioner to update your medical pro le with any recent changes and/or any new pain or discomfort that you might be experiencing.

2.) e stretch practitioner initiates the rst steps of the approved Stretch Zone Method®, utilizing Stretch Zone’s special patented straps to encourage your body to relax and ease into the stretches. You won’t nd these straps anywhere else!

Comparable to a thunder jacket for your pets, they are meant to calm your mind so that your entire body is perfectly loose, thus allowing the stretch practitioner to stretch your body to its full potential and, as a result, provide you with both preventative maintenance and pain relief.

3.) Assisted stretching (a/k/a passive stretching) is di erent from physical therapy in that your body is being stretched by someone else, you’re not actually doing any work. roughout your 30-minute session, the stretch practitioner will be steadily interacting one-on-one with you, ensuring that you are completely comfortable and not experiencing any pain. Ultimately, you are in control of the stretch, even as your practitioner guides your body through each and every step, because you tell the practitioner when you feel your best stretching position. e more you communicate, the better results you’re going to get!

Take advantage of Stretch Zone’s incredible New Year Special: get one FREE

30-minute stretching session! Anybody and everybody can and should be stretched. In fact, one Stretch Practitioner I spoke with at Stretch Zone says, “98% of the people I see in front of me really need to be stretched. is is something you should not live without.” Remember, it’s just like getting your oil changed! Plus, celebrities and professional athletes have been getting stretched for years, so it’s time for the general population to be clued into the secret!

Get Stretch Zone’s New Year Special for yourself or get them for a friend or loved one… what better way to say you care than to give the gi of making life easier, of feeling healthier, lighter, and younger, and of feeling like yourself again?

VOL. 562 N 45 Copyrighted© My Living Media. 2023 All Rights reserved. To Advertise call 772-247-6849 Need More Coupons - MyLivingMedia.com
A NEW YEAR IS HERE.
START THE NEW YEAR OFF RIGHT! IT’S TIME TO FOCUS ON YOU. DISCOVER WHAT STRETCH ZONE CAN DO FOR YOU! JUPITER 6390 W Indiantown Road, Suite 4, Jupiter, FL 33458 561-529-2272 In the Chasewood Plaza PGA EAST 11940 US Hwy 1, Unit 145 Palm Beach Gardens, FL 33458 561-644-2970 In the Seminole Shoppes PGA WEST 6271 PGA Blvd., #209, Unit 145 Palm Beach Gardens, FL 33410 561-619-6029 In the Mirasol Plaza What’s on your resolutions list? Do you want to: ✓ 3 HAVE MORE ENERGY TO DO ALL OF THE THINGS YOU LOVE? ✓ IMPROVE YOUR GOLF GAME, TENNIS SKILLS OR OTHER SPORTS PERFORMANCE? ✓ MANAGE TENSION AND STRESS MORE EFFECTIVELY? ✓ EASE FRUSTRATING MUSCLE ACHES AND PAINS? ✓ INCREASE YOUR OVERALL HEALTH AND WELLNESS? IMPROVE FITNESS AND YOUR OVERALL WELL-BEING. GET YOUR FREE STRETCH BOOK YOUR TODAY! FREE STRETCH
46 VOL. 562 N Copyrighted© My Living Media. 2023 All Rights reserved. To Advertise call 772-247-6849 Need More Coupons - MyLivingMedia.comPUZZLE PAGE SUDOKU
PUZZLE PAGE CROSSWORD ACROSS 1 Asian desert 5 Weep loudly 9 Swiss peak 12 Mideast gulf 13 “Night” author Wiesel 14 Life story 15 Pantheon members 16 Quest 17 Director Howard 18 Region 19 Texter’s “Wow!” 20 Full house, e.g. 21 Dolphins’ org. 23 Here (Fr.) 25 Used a hoe 28 Put a price on 32 Dole out 33 Stage 34 Show bad posture 36 Creatures 37 Your 38 Ornate vase 39 Corn castoffs 42 Tavern 44 Party pooper 48 Small battery 49 Ireland 50 Theater box 51 Norm (Abbr.) 52 Swampy terrain 53 Portent 54 That lady 55 River to the Baltic 56 Get one’s feet wet? DOWN 1 Quite enthusiastic 2 Bloodhound’s clue 3 Eliot’s “Adam --” 4 Important details 5 Observe 6 Grad 7 Improvise 8 Allow 9 Start of a spell 10 King of the jungle 11 Frogs’ hangout 20 Everywhere 22 Command to Fido 24 Prank 25 “Now, where -- I?” 26 Right angle 27 “Xanadu” band 29 Cooking fuel 30 Ballpark g. 31 -- Moines 35 Cross 36 Stovetop feature 39 Mama -- Elliot 40 Swearword 41 Commanded 43 Suf x for billion 45 “Arrivederci --” 46 On in years 47 Actor Hackman 49 Punk-rock subgenre Solutions See Page 54
PUZZLE
VOL. 562 N 47 Copyrighted© My Living Media. 2023 All Rights reserved. To Advertise call 772-247-6849 Need More Coupons - MyLivingMedia.com ·Signs ·Vehicle Wraps ·Boat Wraps ·T-Shirt/Apparel ·Printing ·Biz Cards ·Flyers ·Promotional Items ·Food Product Labeling ·Stickers 151 FERN STREET Unit #2, Jupiter SCAN HERE TO VISIT OUR WEBSITE 561-567-7422 50% OFF Standard Business Cards Restrictions Apply Call For Details. With MLM coupon. May not be combined with any other offer. Exp. 3/18/23 Did You Know We Also Do... • Business Cards / Flyers • Promotional Items • Brochures • Banners • Boat & Car Wraps WHOLESALE FENCING INSTALLATIONS & REPAIRS HOME OF THE LOWEST PRICE GUARANTEE Honest, Trustworthy, Hassle-Free Service From A Family-Owned Business FREE GATE WITH PURCHASE OF EVERY 150 FT. OF FENCING. UP TO A $450 VALUE FENCING SOUTH FLORIDA 561-612-2018 With this MLM coupon. Not valid with any other offer or prior purchases. Offer expires 3/31/23 PVC/VINYL FENCING CHAIN LINK FENCING “We guarantee to beat any price you have from any legitimate fence company” Licensed &Insured Broward 11-F-17403-X Palm Beach U-21752 WWW.FENCINGSOUTHFLORIDA.COM OFFICE 561-612-2018 SERVING BROWARD & PALM BEACH FREE REMOVAL OF EXISTING FENCE WITH PURCHASE OF NEW FENCING NO MINIMUM REQUIRED (excludes hurricane damaged fencing) FENCING SOUTH FLORIDA 561-612-2018 With this MLM coupon. Not valid with any other offer or prior purchases. Offer expires 3/31/23 Visit our website to see our episode on Designing Spaces NOW INTRODUCING OUR NEW ART DIVISION Custom Metal Works in Any Shape and Style added to your fence, gates, entry door, and interior or exterior house walls WOOD FENCING ALUMINUM FENCING WE DO IT RIGHT THE FIRST TIME FOR LESS.
48 VOL. 562 N Copyrighted© My Living Media. 2023 All Rights reserved. To Advertise call 772-247-6849 Need More Coupons - MyLivingMedia.com 1943 SW Biltmore Street, Port Saint Lucie, FL 34984 With this MLM Coupon. Expires 3/31/23 $50 OFF Any Service Any Service $50 772-758-7352
VOL. 562 N 49 Copyrighted© My Living Media. 2023 All Rights reserved. To Advertise call 772-247-6849 Need More Coupons - MyLivingMedia.com …not your typical pawn shop! FREE 30% Off 561-575-5656 20% Off FREE Cleaning & Evaluation 360 W Indiantown Rd | JUPITER Certified Diamond Rings & Jewelry UP TO Cleaning Cloth with purchase of any jewelry over $300 Designer Handbags *Most Jewelry Pieces. Expires 3/18/23 Expires 3/18/23 *Exclusions May Apply. Expires 3/18/23 Expires 3/18/23 FREE CONSULTATION 10% OFF 561.855.6595 Let Us Make Your DreamA Reality! LIC# CGC1525942 825 15th Street Lake Park • Custom Cabinets • Closets • Kitchens • Bathrooms • Doors & Windows • Custom Millwork Any Remodeling Job. Must Book Before 3/31/23 Total Ima g e With this MLM coupon
50 VOL. 562 N Copyrighted© My Living Media. 2023 All Rights reserved. To Advertise call 772-247-6849 Need More Coupons - MyLivingMedia.com Professional Design and Installation High-Quality, Low Voltage Landscape Lighting 772-362-5487 With this MLM coupon. Cannot be combined with other offers. Expires 3/30/23 $55 OFF Transform Your Nights Yacht Sales Professional Monday-Saturday 9-6; Sun. 9-5 • Regulator • Contender • Monterey • Sail sh Center Consoles / Yachts Connor Dunnam BUY - SELL - LIST - TRADE Habla Español 561-944-8604 • Rio Yachts • Majesty Yachts • And Many More Leading Brands 250 SW Monterey Rd. • Stuart, FL 34994 DRYER VENT CLEANING WHEN WAS YOUR DRYER VENT LAST CLEANED? • Speeds Up Drying Time • Reduces Fire Risk • Lowers Utility Costs (more ef cient) • Don’t Wait Until It’s Too Late With over 15,000 dryer res happening each year, IT MAKES SENSE! 561.331.LINT (5468) ✔ Dryer Vent Cleaning ✔ Dryer and Washer Installation ✔ Residential Services ✔ Commercial Services www.dryerventcleaningjupiter.com Licensed & Insured Serving Jupiter & the Palm Beaches Neighbors Discount Special *Washer & Dryer Repair Service $30Off Any Dryer Vent Cleaning Service With this MLM coupon. Must present coupon at time of service. Expires 3/18/23
VOL. 562 N 51 Copyrighted© My Living Media. 2023 All Rights reserved. To Advertise call 772-247-6849 Need More Coupons - MyLivingMedia.comHURRICANE IMPACT WINDOWS & DOORS PROTECT WHAT’S PRECIOUS TO YOU! • Hurricane Protection • Home Security • Save on Energy Bills • Save on Insurance Costs • Increase Property Value • Noise Reduction Your Expert in Single Family Homes & Condos! “Our service & products are second to none!” The People’s Choice In Hurricane Protection! 561-336-6511 SAME DAY Appointments! AS LOW AS $120 MO. FINANCING Available! We Beat ALL Competitors’ Pricing CALL FOR DETAILS INSTALLATION & NO SALES TAX. EXP 3/18/23 License #CBC1264950 & INSURED Serving Palm Beach, Martin, & St. Lucie Counties 50% Off
52 VOL. 562 N Copyrighted© My Living Media. 2023 All Rights reserved. To Advertise call 772-247-6849 Need More Coupons - MyLivingMedia.com METAL ROOFS just got MORE AFFORDABLE! • METAL ROOFING • TILE ROOFING • SHINGLE ROOFING Financing Available Satisfaction Guaranteed! Call Today (772) 291-1427 Lic. No. CCC1327906 FREE ESTIMATES $500 OFF Call Today! ANY ROOF REPLACEMENT Must present coupon at time of estimate for discount. Exp. 3/30/23 KITCHEN & BATHROOM REMODELS facebook.com/mavitstone mavitstone $500 Off *With $5000 or more. Must be presented at time of appointment With this MLM coupon. EXPIRES 3/31/23 WE BEAT ANY WRITTEN OFFER! MAVIT STONE SERVICES LLC 772-209-3888 1622 SW Biltmore St. • PSL MAVITSTONE.COM Financing Available! Cabinets, Countertops, Flooring, & More! G&S PAINTING & FINE FINISHES 877-202-4000 GSFine nishes.com Locally Owned and Operated • Residential & Commercial • Interiors • Exteriors • Laquer • Faux Finish • Epoxy • French Polish • Paints • Stains • Latex • Oil EXPERTS IN HIGH QUALITY FINISHES
VOL. 562 N 53 Copyrighted© My Living Media. 2023 All Rights reserved. To Advertise call 772-247-6849 Need More Coupons - MyLivingMedia.com BEFORE AFTER GOALS WEIGHT LOSS 50% OFF FREE CONSULTATION Call for a Must present this MLM coupon for discount. Expires 3/30/23 561-283-1011 401 Maplewood Dr., #2, Jupiter (Maplewood Center behind Home Depot) www.GoalsWeightLoss.net Lose Weight QUICK! • Eat Real Food • No Exercising Required! • Private Counseling • Medically Supervised • Individual Plans • NO Hormone Supplements LOST 95 POUNDS! Without Surgery GUARANTEED RESULTS Phentermine Available Family Owned & Operated since 1983 24-HOUR SERVICE 4 Generations of Plumbing & Knowledge! TOLL FREE 2647 President Barack Obama Hwy., Riviera Beach, FL 33404 561-625-9414 800-323-0263 www.NorthCountyPlumbing.org • Licensed • Bonded CFC026530 Serving All of Palm Beach County for 39 Years Strong & Still Growing! PLUMBING PROBLEMS? We can handle any plumbing repair, from Big to Small! 10% $1099 $ 425 $ 99 OFF ANY SERVICE CALL Maximum ($100 Discount) With this MLM coupon. Cannot be combined with any other offer. Expires 3/31/23 INSTALLED WATER HEATER SPECIAL Electric Only. 50 - 40 - 30 - Tall or Med. No Hidden Costs Regular Price $1199 - Special Price $1099 - SAVE $100 With this MLM coupon. Cannot be combined with any other offer. Expires 3/31/23 TOILET REBUILD SPECIAL Includes Fill Valve & Flapper. Standard Toilets Only Regular Price $148 - Special Price $99 - SAVE $49 With this MLM coupon. Cannot be combined with any other offer. Expires 3/31/23 In Garage on Floor Only. +TAX NEW TOILET Supply & Install White Round or Elongated Toilet With Seat, Standard Height. Reg. Price $499, Special Price $425 SAVE $75. Additional Charges Will Be Applied for Above 1st Floor Installations. With this MLM coupon. Cannot be combined with any other offer. Expires 3/31/23
54 Need More Coupons - MyLivingMedia.com FREE STUMP REMOVAL We Beat AnyEstimateWritten WE SPECIALIZE IN TREE • Rock & Stone Install • Palm/Tree Removal • Irrigation install & Services • Stump Grinding • Mulching & Sod Installed • Tree Trimming TREE & PALM TRIMMING • Pressure Washing • Brazilian Pepper Tree Cut Back & Removal • Installation/Design • Lawn Maintenance • Clean Ups/Hauling • Weeding & Much More • H.O.A. Complaint Letters • H.O.A Approved • Hazardous trees that are too close to the roof · HARDWOOD · VINYL · LAMINATE · ENGINEERED WOOD · REFINISHING CALL NOW FOR FREE ESTIMATE STUART 772.600.4814 www.faceofwood.com SHOWROOM: 6408 SE Fed. Hwy., Stuart | Mon-Fri: 8am-5pm |Sat: By Appointment Only FLOORING INSTALLATION & REFINISHING 14 Years Serving South Florida! 10% OFF With this MLM coupon Expires 3/31/23 (Estimates that include both materials & installation) Licensed & Insured Come In To See Our New Collections Now In Stock S U D O K U Solution CROSSWORD SOLUTION SOLUTION TIME: 25 MINS. PUZZLE SOLUTIONS PUZZLE SOLUTIONS
VOL. 562 N 55 Copyrighted© My Living Media. 2023 All Rights reserved. To Advertise call 772-247-6849 YOUR TRUSTED ROOFERS $500 ANY NEW ROOF $10,000 & Up Must present this MLM coupon. Expires 3/31/23 off $150 ROOF REPAIR Must present this MLM coupon. Expires 3/31/23 off Roof Repair • Roof Replacement Insurance Restoration LICENSED & INSURED • #CCC133746 5 Stars Google FREE In-home Estimate 772-222-6760 819 SW Federal Hwy. Ste #201 • Stuart www.levelbestroofing.com
56 VOL. 562 N Copyrighted© My Living Media. 2023 All Rights reserved. To Advertise call 772-247-6849 Need More Coupons - MyLivingMedia.com Fences • Gates • Railings • Wood • Chain Link • PVC • Aluminum ALLIED ALUMINUM & RAILING (Minimum of 100 ft) With this MLM coupon. Expires 3/31/23 $100 Off Keep What You Love Safe! Licensed & Insured License #U-17525 94-7491-FX MC1800195 CALL TODAY FOR YOUR FREE ESTIMATES! 561.232.2757 www.alliedaluminum.us Make Your Shower & Floors Look New Again! • Tile & Grout Cleaning • Grout Restoration • Tile & Grout Repair • Loose & Hollow Tile Rebonding • Shower Repairs & Regrouting • Non-Slip Tile Treatment Call today for a FREE Estimate • 772-224-3011 or 1-800-561-3736 • www.GroutsmithStuart.com SEE THE DIFFERENCE WE CAN MAKE IN THE LOOK OF YOUR HOME! Your Grout & Tile Cleaning Experts $30OFF ANY JOB OF $300 OR MORE $50OFF ANY JOB OF $500 OR MORE With this MLM coupon only. Cannot be combined with any other offers or specials. Expires 3/31/23 No More Dirty Grout! Before Before After After With this MLM coupon only. Cannot be combined with any other offers or specials. Expires 3/31/23 Guaranteed for 10 Years! THE GROUTSMITH
VOL. 562 N 57 Copyrighted© My Living Media. 2023 All Rights reserved. To Advertise call 772-247-6849 Need More Coupons - MyLivingMedia.com CALL TODAY FOR A free estimate! DRIVEWAYS • WALKWAYS • PATIOS • POOL DECKS • RETAINING WALLS CUSTOM POOL REMODELS • NEW POOL CONSTRUCTION • CLEAN & SEAL PAVERS • REPAIRS MARTIN 772-419-5151 PALM BEACH 561-844-9370 apexpaversandpools.com LICENSED & INSURED: CPB #4701 • U-20589 • U-20796 • RP #4701 *WITH APPROVED CREDIT. OFFERS CANNOT BE COMBINED. Apex Pavers & Pools, Inc. 725 SE Monterey Rd., Stuart, FL 34994 COME VISIT OUR SHOWROOM! POOLS TRANSFORMING THE ORDINARY TO Extraordinary FINANCING AVAILABLE CONTACT US TODAY TO LEARN MORE* CALL TODAY FOR A free estimate! DRIVEWAYS • WALKWAYS • PATIOS • POOL DECKS • RETAINING WALLS CUSTOM POOL REMODELS • NEW POOL CONSTRUCTION • CLEAN & SEAL PAVERS • REPAIRS MARTIN 772 - 419-5151 PALM BEACH 561-844-9370 apexpaversandpools.com LICENSED & INSURED: CPB #4701 • U-20589 • U-20796 • RP-252555006 *WITH APPROVED CREDIT. OFFERS CANNOT BE COMBINED. Apex Pavers & Pools, Inc. 725 SE Monterey Road, Stuart, FL 34994 POOLS TRANSFORMING THE ORDINARY TO Extraordinary 12 MONTHS SAME AS CASH NO INTEREST, NO PAYMENTS FOR 12 MONTHS* COME VISIT OUR NEW SHOWROOM! DRIVEWAYS • WALKWAYS • PATIOS • POOL DECKS • RETAINING WALLS CUSTOM POOL REMODELS • NEW POOL CONSTRUCTION • CLEAN & SEAL PAVERS • REPAIRS LICENSED & INSURED: CPB #4701 • U-20796 • RP-252555006 • CPC 1458696 Visit Our Showroom
58 VOL. 562 N Copyrighted© My Living Media. 2023 All Rights reserved. To Advertise call 772-247-6849 Need More Coupons - MyLivingMedia.com 561-509-5577 Serving all of Palm Beach County Any New Hot Water Heater or Tankless Heater Any New Toilet Any New Garbage Disposal Clearing Any Sink, Toilet, or Main Sewer Line Your Next Service Call $65 OFF $50 OFF $35 OFF $37 OFF Not valid with other offers or prior services. Must present MLM coupon. Limit one coupon per service call. Not valid with other offers or prior services. Must present MLM coupon. Limit one coupon per service call. Not valid with other offers or prior services. Must present MLM coupon. Limit one coupon per service call. Not valid with other offers or prior services. Must present MLM coupon. Limit one coupon per service call. Not valid with other offers or prior services. Must present MLM coupon. Limit one coupon per service call. Celebrating 40 Years of Excellence www.duallplumbers.com N N N N N Lic. #CFC1429556 Any Job Big or Small We Do Them All! Available Nights, Weekends, & Holidays Plumbing Repairs & Water Heater Installations Senior Citizen & Veteran Discounts Available! $30 OFF CUSTOM CLOSETS AND SHOWERS DOORS 561-810-1305 | www.coastalclosetsandshowers.com Visit our factory showroom at 4483 SE Commerce Ave, Stuart, FL 34997 Licenced Contractor #MCN56662 #SCC131152195 You deserve more than good luck. Up to $300 off your new Custom Closet* Lifetime Warranty & FREE Glass Protection on your Custom Glass Shower Offers valid until March 31 2022. Coupon must be presented at time of consultation. *purchase of $2500 or more necessary. closet | office garage | wall bed wall units shower doors glass wine rooms store front glass Offers valid until March 31,2023. Coupon must be presented at time of consutation.
VOL. 562 N 59 Copyrighted© My Living Media. 2023 All Rights reserved. To Advertise call 772-247-6849 561-468-7281 www.windowreplacementgroup.com SCC# 131152429 CBC# 1264555 IMPACT WINDOWS & DOORS The Group of Professionals You Can Trust! Energy Saving Enhance Home’s Appearance & Value Hurricane & Burglary Protection Reduce Insurance Cost Sound Reduction TM TM *Offers cannot be combined. Exp. 3/18/23 *Offers cannot be combined. Exp. 3/18/23 FREE SPECIAL ENTRY DOOR *WITH PURCHASE OF FULL HOUSE INSTALL ASK ABOUT OUR PRICING FOR IMPACT WINDOWS, PATIO & ENTRY DOORS

The Florida lifestyle provides us with a host of options for getting from point A to point B... from scooters to speed boats, we’ve got them all! e golf cart in particular has, with all of the gated communities in the Sunshine State, become an easy and convenient way to get around the area. Golf carts aren’t just for private neighborhoods or the links though; in fact, they have even become a quick way to tote the kids to and from the bus stop every day! Do the prices at the pumps tempt you to put the car in the garage for a while? Head to Ace of Carts, the area’s largest golf cart superstore with the best selection of golf carts, golf cart accessories, and top-notch service!

Ace of Carts is a family-owned and operated business led by Nick Rotundo and his dad, Rock Rotundo. Nick and Rock were in the automotive business together before making the move from upstate New York to south Florida seven years ago. Nick explains that a er moving, his family had a di cult time purchasing a golf cart for his grandmother, who had moved into a gated community. So, Nick and Rock ventured into the golf cart sales business together, becoming an authorized retailer for ClubCar, Yamaha, Icon, and Polaris Commercial golf carts.

In 2018, the Rotundo family moved the business to its current Stuart location (formally Tri County Golf Carts). Ace of Carts now employs over 30 sales, service, and customer care personnel, and is the highest volume sales dealer of golf carts in the area! In addition to golf carts, Ace of Carts has an inventory of electronically-assisted bikes (ebikes) for the bike rider who wants a more comfortable option when it comes to pedaling uphill.

Aside from their vast inventory, Ace of Carts is the go-to source for many Palm Beach, St Lucie, and Martin County residents due to Nick and Rock’s industry experience and dedication to exceptional

service. In these challenging times of supply and demand, the service team at Ace of Carts does everything possible to guarantee that customers have their service and sales needs met. Ace of Carts’ factory-trained technicians have the knowledge to provide quality diagnostics, service, and repair for any golf cart. ey realize that golf carts are important to lifestyle routines, so they make timely service a priority.

One of many happy Google reviewers says of Ace of Carts, “I purchased my Club Car cart from Ace of Carts about four years ago and have been supported by them the entire time. If I have questions, I receive answers by a call or text immediately. ey truly want the entire experience to be as close to perfect as possible. Nick and the entire family are fantastic… and I like supporting a family business…”

In addition to their Stuart location, Ace of Carts has expanded to two more locations, one in Daytona Beach and the other, newest one in Tequesta, the Grand Opening of which is later this month. Tequesta’s premier 3,000 square foot showroom will still have the same o erings as the other locations, but will be more focused on the customer experience. Nick explains, “ e Tequesta location will be geared more toward the golf customer.” ere will be a digital golf simulator on the premises, along with other interactive displays and attractions that customers can explore while shopping for carts and accessories! Nick adds, “ e customers will leave the store more informed than when they walked in.”

Like Ace of Carts’ other locations, the Tequesta location will provide FREE cart pick up and delivery with almost every sale. Ace of Carts also o ers 0% nancing for 48 months on select products, making it easy to purchase a golf cart that will absolutely be the envy of the neighborhood.

Find the perfect golf cart at Ace of Carts, and stay tuned for the Tequesta Ace of Carts Grand Opening!

4 VOL. 559 H/K Copyrighted© My Living Media. 2022 All Rights reserved. To Advertise call 772-247-6849 Need More Coupons - MyLivingMedia.com
Ace of Carts can also be found at the Daytona Flea & Farmers Market, located at 1425 Tomoka Farms Road in Daytona Beach. Visit Ace of Cart’s website to view their gallery of inventory at aceofcarts.com. For more information, call 1-833-ACE-CART (223-2278) or call 772-678-7636. e NEW Ace of Carts in Tequesta is located at 552 US Highway N. NOW OPEN Mondays-Fridays from 10AM to 5PM and Saturdays from 9AM to 3PM.
Carts
Your
Ace of
in Stuart is located at 4880 SE Federal Highway. Ace of Carts in Daytona Beach is located at 2674 LPGA Boulevard. ACE OF CARTS :
Local Golf
Copyrighted© My Living Media. 2022 All Rights reserved. To Advertise call 772-247-6849 Now Open in Tequesta! Authorized Dealer CARTS IN STOCK AND READY FOR DELIVERY! Cart Superstore! SALES• SERVICE • PARTS Ace of Carts Red Tag Sales Event! OVER 200 BRAND NEW CLUB CARS IN STOCK! Must be a 2022 Model Year Club Car from dealer stock. Offer Valid through March 16th 2023 or while supplies last. Financing is available with standard rates. Not eligible for 0% Financing promotion; offers do not combine. $1,000 in FREE Accessories FREE Local Delivery Destination & Setup Charges. REGISTER ONLINE TO GET: https://aceofcarts.com/red-tag/ Promo code: MLM822 Authorized Club Car Dealer Now Open in Tequesta! Ace of Carts has the Area’s Largest Selection of Golf Carts!
62 VOL. 562 N Copyrighted© My Living Media. 2023 All Rights reserved. To Advertise call 772-247-6849 *Additional charges may apply for heavily soiled areas Serving the Treasure Coast from Vero to Palm Beach 772-919-7163 • 561-250-0088 WWW.CarpetCleanerInFlorida.com 3 ROOMS $68 2 ROOMS $42 5 ROOMS $99 TILE & GROUT CLEANING 39¢ SQ. FT. 100 SQ. FT. MINIMUM FURNITURE CLEANING $60 SOFA OR LOVE SEAT OR 2 CHAIRS AREA RUGS $40 AND UP PREVENTS FIRES DRYER VENT CLEANING FREE DEODORIZER, SANITIZER, & DISINFECTANT $85FROM & SPEEDS DRYING TIME OFFER #MS3-1 CARPET CLEANING Licensed Ask about ...dries in half the time!
VOL. 562 N 63 Copyrighted© My Living Media. 2023 All Rights reserved. To Advertise call 772-247-6849 ing and refacing services, your original cabinet boxes stay in place –saving you the time, cost, and mess of a complete remodel. We’ll have your kitchen looking brand new in no time! Give us a call to schedule your free, in-home estimate. Before Refacing CALL TOD AY 561. 861.3532 DIEGO HERNANDEZ Locally Owned and Operated Serving Jupiter, FL and the surrounding area. Hassle-Free Kitchen Updates Choose a new color and style for your kitchen with cabinet refacing. kitchentuneup.com 1 DAY TUNE-UP • REFACING • REDOORING • CUSTOM CABINETS AND MORE! THE WINDOW & DOOR SPECIALIST 772-288-6205 WWW.KAMRELL.COM KAMRELL When You Want It Hung Well... TRUST FAMILY OWNED & OPERATED SINCE 1999 8200 SW LOST RIVER ROAD STUART, FLORIDA 34997 Financing Options Available On Our Website LICENSED & INSURED CGC061180 THE DOOR SYSTEM YOU CAN BELIEVE IN THE DOOR OF BEAUTY AND INOVATION
Second Location 4880 SE Federal Hwy. • Stuart 552 US Hwy. 1 North • Tequesta (LOCATED IN THE PUBLIX PLAZA) 1-833-ACE-CART 223-2278 Second Location Aceofcarts.com Ace of Carts Authorized Club Car Dealer Now Open in Tequesta! Red Tag Sales Event! OVER 200 BRAND NEW CLUB CARS IN STOCK! Must be a 2022 Model Year Club Car from dealer stock. Offer expires 3/30/23 or while supplies last. Financing is available with standard rates. Not eligible for 0% Financing promotion; offers do not combine. Ace of Carts has the Area’s Largest Selection of Golf Carts! CARTS IN STOCK AND READY FOR DELIVERY! SEE PAGES 60-61 $1,000 in FREE Accessories FREE Local Delivery Destination & Setup Charges. REGISTER ONLINE TO GET: https://aceofcarts.com/red-tag/ Promo code: MLM822 SALES• SERVICE • PARTS Residential Customer PRSRT STD ECRWSS US POSTAGE PAID PERMIT #145 STUART, FL 2081 SE Ocean Blvd. • Suite 4 Stuart, Florida 34996 • 772-334-2121

Turn static files into dynamic content formats.

Create a flipbook
Issuu converts static files into: digital portfolios, online yearbooks, online catalogs, digital photo albums and more. Sign up and create your flipbook.