N1-Jupiter Living Mailing Tony Penna, Indian Creek, and Golf Club of Jupiter Areas-Vol.554

Page 1

A PERFECT 5-STAR REVIEWED COMPANY BUILT ON TRUST!  See Page 48 JUPITER Mailing Tony Penna, Indian Creek, and Golf Club of Jupiter Areas VOL. 554-N1 Index Page 9 Living MYLIVINGMEDIA.COM First Impressions Pgs. 4-5 Unlimited Auto Wash Pgs. 60-61
Copyrighted© My Living Media. 2022 All Rights reserved. To Advertise call 772-247-6849 Need More Coupons - MyLivingMedia.com WATER & MOLD DAMAGE EXPERTSWATER & MOLD DAMAGE EXPERTS 24/7 EMERGENCY RESPONSE24/7 EMERGENCY RESPONSE (561) 878-8082(561) 878-8082 FULLY LICENSED & INSURED ALLDRYUSA.COMFULLY LICENSED & INSURED ALLDRYUSA.COM NO MONEY DOWN!! WATER DAMAGE & MOLD REMEDIATIONNO MONEY DOWN!! WATER DAMAGE & MOLD REMEDIATION GIVE US A CALL IF YOU SEE...GIVE US A CALL IF YOU SEE... WATER STAINS FLOOR BUCKLINGKITCHEN LEAKMOLD BUILDUP QUALITY PROFESSIONAL RESTORATION IS OUR PROCESSQUALITY PROFESSIONAL RESTORATION IS OUR PROCESS OUTSTANDING RESULTS IS OUR GUARANTEEOUTSTANDING RESULTS IS OUR GUARANTEE CALL CALL (561) 878-8082(561) 878-8082 TODAY FOR A FREE INSPECTIONTODAY FOR A FREE INSPECTION $100 REBATE$100 REBATE ON MOLD SERVICESON MOLD SERVICES MUST MENTION CODE LMMMUST MENTION CODE LMM NO INSURANCE? NONO INSURANCE? NO PROBLEM! PROBLEM! DIRECT PAY & FINANCINGDIRECT PAY & FINANCING OPTIONS AVAILABLEOPTIONS AVAILABLE Fully Licensed Contractors & Mold Remediators #CGC1525977 #MRSR3558
Need More Coupons - MyLivingMedia.com FINANCING AVAILABLE Impact Resistant Fiberglass & Mahogany Entry Doors • Impact Resistant Decorative Glass Inserts Interior Doors • Impact Resistant French & Sliding Glass Doors Call today 561.464.6102 to schedule your FREE SHOWROOM appointment or schedule online FrontdoorsFL.com BOCA RATON | 9858 Clint Moore Rd., Suite C-128 • Boca Raton, FL 33496 Tuesday - Friday • 9am - 5pm Saturday • 9am - 4pm WEST PALM BEACH | 346 Pike Road, Suite 6, West Palm Beach, FL 33411 Monday - Friday • 7am - 4:30pm Saturday • 9am - 2pm JUPITER | 75 E. Indiantown Road, Suite 507, Jupiter, FL 33477 Tuesday - Friday • 9am - 5pm Saturday • 9am - 4pm LICENSE # CBC037800

Make a Great First Impression with New Entry Doors!

Steven

Gross, co-owner of First Impression Doors & More, Inc., saw an opportunity to help South Floridians protect their homes from impending hurricanes without compromising on quality or customer service. Prior to joining First Impression Doors & More, Inc., Steven had a di cult experience with another door company when he replaced his own entry doors. As a result, he wanted to make the process easier and o er the highest quality products for homeowners.

Steven has an extensive background in sales and marketing, and his business partner/co-owner Randy Dobkins has years of experience in fabrication and custom millwork. Together, Steven and Randy knew that they could create a business that would work exclusively with quality, respected brands while also providing impeccable customer service. And they were right, they could... First Impression Doors & More, Inc. has a 4.8/5 star rating on Google and a 5 star rating on Facebook! e testimonials don’t lie-- clients love working with the experts at First Impression Doors & More, Inc. and rave about everything from the company’s e ciency and a ordability to the sta ’s knowledge and friendliness.

As Palm Beach County’s largest specialty door store, First Impression Doors & More, Inc. has a plethora of options to satisfy any style and t any budget:

Impact Resistant Fiberglass & Mahogany Entrance Doors

Impact Resistant Decorative Glass Inserts

Impact Resistant French & Sliding Glass Doors

Need More Coupons - MyLivingMedia.com
License #CBC037800
Interior Doors
Baseboard & Crown Moulding
Specialty Lumber
And More!

Need More Coupons - MyLivingMedia.com

Additionally, First Impression Doors & More, Inc. is NAMI (National Accreditation & Management Institute, Inc.) certi ed and able to create custom-sized, impact resistant doors for your home!

e bene ts of upgrading your home with impact resistant products are endless, but the main advantages are heightened protection/security and higher property values. Impact resistant products are your strongest defense against a hurricane’s highforce winds, and can be one of the key determinants for whether your home will survive a storm. Further, impact resistant glass is virtually impossible to breach, meaning that you, your family, your home, and your possessions are safe from any unsavory characters.

From start to nish, First Impression Doors & More, Inc. will handle your home renovations with the utmost professionalism. Even if you’re more of a do-it-yourself person, then First Impression Doors & More, Inc. can still provide you with rst-rate products from distinguished and respected manufacturers.

Let First Impression Doors & More, Inc. open new doors for you with the best products and customer-focused service! If you’re undecided, then go to the First Impression Doors & More, Inc. website and read the endless list of glowing testimonials from real clients. You’ll be amazed at how many of their customers have taken the time to commend them! en you’ll work with the company yourself and understand why. Before you know it, you’ll be writing your own raving review as you sit in the comfort and security of your upgraded home with beautiful new impact doors.

Transform your home by installing new custom interior doors without the mess and hassle of major construction. Choose from a wide variety of contemporary, traditional door styles.

• New Solid Core Doors

• New Door Hardware

• New Hinges

Call today 561.464.6102

LICENSE

BOCA RATON | 9858 Clint Moore Rd., Suite C-128 • Boca Raton, FL 33496

Tuesday - Friday • 9am - 5pm Saturday • 9am - 4pm

WEST PALM BEACH | 346 Pike Road, Suite 6, West Palm Beach, FL 33411

Monday - Friday • 7am - 4:30pm Saturday • 9am - 2pm

JUPITER | 75 E. Indiantown Road, Suite 507, Jupiter, FL 33477

Tuesday - Friday • 9am - 5pm Saturday • 9am - 4pm

Resistant Fiberglass & Mahogany Entry Doors • Impact Resistant Decorative Glass Inserts Interior Doors • Impact Resistant French & Sliding Glass Doors
FINANCING AVAILABLE Impact
to schedule your FREE SHOWROOM appointment or schedule online FrontdoorsFL.com
# CBC037800
6 VOL. 554 N Copyrighted© My Living Media. 2022 All Rights reserved. To Advertise call 772-247-6849 Need More Coupons - MyLivingMedia.com Call for a free in home design consultation and estimate Imagine your home, totally organized! Custom Closets, Garage Cabinets, Home Offices, Pantries, Laundries, Hobby Rooms and more... 40% Off Plus Free Installation Terms and Conditions: 40% off any order of $980 or more or 30% off any order of $680-$979 on any complete Custom Closet, Garage Cabinets, Home Office, Pantry, Laundry, Wall Bed, Wall Unit, Hobby Room or Garage Flooring system. Not valid with any other offer. Free installation with any complete unit order of $600 or more. Expires in 30 days. Call for a free in home design consultation and estimate (561)203-4745 www.closetsbydesign.com MSJ Follow us 2020 © All Rights Reserved. Closets by Design, Inc. Walk-In-Closets Laundry Rooms Home Offices Garage Cabinets Follow us www.closetsbydesign.com CGC1509325 & MC1900055 (561) 203-4745 MSJ
VOL. 554 N 7Copyrighted© My Living Media. 2022 All Rights reserved. To Advertise call 772-247-6849 Need More Coupons - MyLivingMedia.comFREE ESTIMATES ON NEW A/C UNITS WE SELL, INSTALL, AND SERVICE ALL MAJOR A/C BRANDS! Offer Expires 1/15/23 *Rheem 16 seer A/C unit re ects cash price. Price is based on model numbers RA1618 through RA1660 unit with air RH1T air handler. WIFI T-stat illustration purposes only, not included. Must be straight change out, hooked up to existing copper, electric, thermostat, hurricane tie-downs, vibration pads and slab. Rooftop and R410a retro ts extra. Permits additional. *Synchrony Financing with approved credit. *Basic coil cleaning will be accomplished by using brush vacuum where accessible. *Drain line ush for maintenance purposes only, excludes clogged drain lines. *Free service call with repair, $49 value. I0% off is valid for service related items only. excludes new Ac units. COMMERCIAL & RESIDENTIAL OFFICE HOURS: MONDAY-SUNDAY 7AM-9PM State Licensed HVAC Contractor Lic # CAC058142 State Licensed Mold Assessor Lic # MRSA3162 State Licensed Mold Remediator Lic #MRSR3334 EcoNet® Smart WiFi Thermostat 0% Financing 24-60 Months* (Equal Monthly Payments - Call For Details) 25 YEARS IN BUSINESS SE HABLA ESPAÑOL DUCT CLEANING SPECIAL! $129 · Medical staff · Police · Elderly · Military · Teachers · Expecting Moms Scan for details ScanQR Code to ApplyFor Financing uahac.com * EXTRA 10% OFF FOR 1.5 ton $3,564 2 ton $3,593 2.5 ton $3,962 3 ton $4,023 3.5 ton $4,228 4 ton $4,479 5 ton $4,860 Rotobrush Air Duct Cleaning Deodorizing air handler & ductwork Vacuum air handler liner Brush vacuum coils Brush vacuum outside blower housing Wash and degrease vents Whip down outside air handler cabinet Vacuum accessible areas of air handler closet Free Unlimited Mains (Normally $50 Each) Free AC System Inspection Chemical Rinse Drain Pan Chemical Rinse Drain Line Up to 6 vents Included Additional supply vents only $25 each               561-721-0900 ONLY Scan for details ACT NOW! LIMITED TIME OFFER Exp. 1/15/23 561-721-0900 *with repair A/C Service Call A/C Not Cooling? Leaking Water? Leaking Freon? Freezing Up? FREE Only 561-721-0900Scan for details ACT NOW! LIMITED TIME OFFER Exp. 1/15/23 Complete A/C Tune-Up $49 · 24-Point Inspection · FREE 1st lb of Freon* · Add Solution to A/C Drain · Add Algaecide Tablets to Drain Pan · Coil Deodorizer* · FREE Drain Line Flush* · Water Damage Inspection with Moisture Meter · In Place Chemical Flush of Evaporator Drain Plug · Add Algaecide Tablets to Drain Pan · Add DrainSolve Cleaning Solution to Drain Line Only 561-721-0900Scan for details ACT NOW! LIMITED TIME OFFER Exp. 1/15/23 $19 A/C Leaking Water?
2 LOCATIONS Mall, Jensen Beach COHEN’s COHEN’ OptiCal Pinecrest Lakes Including Hollycreek & Timberwick Living VOL. 549-A7 MYLIVINGMEDIA.COM $1000 OFF JetSetter Membership Indian River Shores Living MYLIVINGMEDIA.COM Index Page 9 551-E4 Okeechobee Cowtown Rodeo See Page 9 March 8th - 10th Okeechobee WEST LivingVOL. Index Page 30 MYLIVINGMEDIA.COM Meet Sean Quinn… See Pages 4-5 Your trusted neighborhood Realtor Our Local Market is Shifting & You need to know exactly what that means! River ShoresNorth 549-A1 Living MYLIVINGMEDIA.COM Index Page 9 Meet Soraya Cedeño CEO of Organic Tagua Jewelry See Pgs. 18 & 19 Sailfish Point VOL. 549-A2 Living MYLIVINGMEDIA.COM Index Page 9 NO WATERING NO MOWING NO FERTILIZING VeroBeach VOL. 551-S1 Living West MYLIVINGMEDIA.COM Index Page 9 Jupiter VOL. 549-D1 99+ UNIQUE COMMUNITY MAGAZINES DIRECT MAIL High-quality printed post cards & inserts allow you to target specific zip codes every two weeks FREE digital, mobile, & social media marketing for every one of our direct mail clients Mailing Martin, St. Lucie, Indian River, Okeechobee, & Palm Beach Counties my LIVING MEDIA ON THE WEB We are Florida’s Premier Direct Mail & Multimedia Marketing Company 1¢MAIL Some Restrictions Apply. Please call for details. PER HOME FOR ONLY… 15,000* HOMES CONNECT TO YOUR COMMUNITY… 772-247-6849

Health

AUTOMOTIVE

A

BEAUTY

Absolute Wellness Spa

Hamilton Aesthetics

CLEANING

Honor Carpet.............................. 62

Oliver Twist Pressure Washing 48

Stanley Steemer 11

The Groutsmith Grout Cleaning 40

Antonio’s Italian Market

Beneditti’s Pizza ........................ 25

Brio Italian Grille ........................ 22

Divine Treats 24

Jupiter Water Tours 51 Mystic Lobster Co. 25

Nick & Johnny’s Osteria............. 22

Plant Based Ma a ...................... 24

Poke N Go .................................. 23

Taco Shack Jupiter .................... 21

Tiramisu Pizzeria and Trattoria .. 28

West Palm Beach Antiques Festival 54

HOME IMPROVEMENT

Advanced Re nishing ................ 46

All Dry USA .................................. 2

Alliance Group Roo ng .............. 42

Allied Aluminum and Railing ...... 52

Apex Builder Contractor Co 53

Apex Pavers and Pools 57

Aqua Docs Water Restoration, Inc ... 47

Closets By Design ........................ 6

Coastal Closets and Showers .... 17

Complete Synthetic Turf.............51

East Coast Electric Screening .... 50

Face of Wood 63

Fencing South Florida 20

First Impression Doors and More 3

IMA Landscaping ....................... 40

Jupiter Sod and Landscaping .... 48

K-Boys Construction .................. 51

Kamrell Windows and Doors ...... 63

King of Kitchens......................... 42

Kitchen Tune Up 58

Marzo Roo ng Inc 50

Max Guard Enclosures 32-33 Max Guard Hurricane Windows ... 34-35

Mister Roof ................................ 41

North County Plumbing .............. 54 Odums Sod ................................ 56 OX Floor Coating ........................ 15

Plantation Shutters Florida 14

Plumb Rite Plumbing 44

Precision Door Service 30 PS Flooring ................................ 55

Quality Air of America ................ 13

Roo ng Systems of FL ............... 58

Seaglass Window ...................... 18

Stott Brothers Electric ............... 38

Stuart Roo ng 54

Total Image 26

Tree Trimmers USA .................... 46

Triple M Brick Pavers ................. 14

Tropical Pools ............................ 52

Universal Air and Heat ................. 7 Window Replacement Group ..... 59 Window World of West Palm Beach 28

Windowz and More 16 XL Fencing ................................. 36

JEWELRY

M & J Jewelry ............................ 44

Oteri’s Wholesale Jewelry ......... 12

MEDICAL & HEALTH

Abacoa Podiatry 30

Alpaca Audiology ....................... 12

Appearance Implant and Family Dentistry ................................. 31

Coaching to Reign...................... 38

Dentistry By Design ................... 17

Dr. Samuel Holcroft 39

Goals Weight Loss......................36

Habashy Dental 29

Institute of Health and Wellness ..... 56

Jupiter Hair Center .................... 19

MMJ Health ............................... 10

New Beginnings Medical ........... 27

Stretch Zone .............................. 43 Tropical Healthcare Services

PROFESSIONAL SERVICES

upiter Living Index Page 9 Shop Local - Beautiful Designer Furniture and Furnishings Furniture Store Island VOL. 551-E1 Living MYLIVINGMEDIA.COM Index Page 9 Janice MilesicSteve Milesic Sebastian 551-T7 Living MYLIVINGMEDIA.COM Index Page 9 EAT. DRINK. CHILL. Grand Harbor Living MYLIVINGMEDIA.COM Index Page 9 VOL. Including Oak Harbor and River Club Gardens Palm Beach Living MYLIVINGMEDIA.COM VOL. 549-I5 THC TOTAL HOME DISCOVER THE PREMIER POSSIBILITIES A Taste of Italy in Every Bite Torino VOL. 549-F3 Living MYLIVINGMEDIA.COM See Pgs. 52-53 Executive Chef, Taylor Wilson This Grill is American Cuisine and Full Bar Stuart Yacht & Country Club LivingVOL. 549-O4 Index Page 9 MYLIVINGMEDIA.COM MY LIVING CONTENTS - ZONE N
& PETS
ANIMAL
Pets .............................
E
26
............
Perfect Day Golf Carts
11
...............................
Ace of Carts
38
Unlimited Auto Wash 49, 60-61
..............
28
...................
19
SERVICES
ENTERTAINMENT
DINING &
.............
23
50
Waste .................................
Dryer
The ..............
....................
............
.....................
RETAIL Prestige Pawn............................ 20 The Lamp Connection ................ 27 The Summer House ................... 37 Village Bootery 25 Volume 554 November 2022 For advertising rates and information Email: sales@mediaoms.com Call 772-247-6849 © 2022 by My Living Media. All rights reserved. Although some parts of this publication may be reproduced and reprinted, we require that prior permission be obtained in writing. My Living Magazine is a free publication distributed locally and is supported by our advertisers. Please call to find a location near you or if you would like copies placed at your business. We do not necessarily endorse the views expressed in the articles and advertisements, nor are we responsible for the products, and services advertised. We are not responsible for licensing or certifying businesses, nor are we responsible for verification of these requirements. We welcome your ideas, articles and feedback. *Dining pictures shown are for illustration purposes only. Actual products may vary due to product enhancement.
Bulk
44
Vent Cleaner,
18 Group One Security
48 Momma B’s Monograms
56 Mr. Tint of America
40 My Stack Box Storage 45 Tree of Life Senior Services 56
10 VOL. 554 N Copyrighted© My Living Media. 2022 All Rights reserved. To Advertise call 772-247-6849 Palm Beach 561-631-7994 MMJ Health Make the Appointment Use our patient qualification system to see if you qualify for medical marijuana. See the Marijuana Doctor See one of our qualified physicians at one of our many locations in Florida. Get Your Card You will be able to visit and get delivery from any dispensary in Florida. Let Dr. Morgan, The Highest Rated MMJ Doctor, at MMJ Health find your Alternative to Pharmaceuticals! Anne L. Morgan, M.D. When it comes to finding medical marijuana (MMJ) doctors, you can trust the helpful and professional staff at MMJ Health. Serving patients in Palm Beach, Martin, & St. Lucie Counties. Call MMJ Health to schedule an appointment with a Florida Medical Marijuana Doctor: WINNER OF BEST DISPENSARY, BEST MEDICAL MARIJUANA CARD PROVIDER, BEST CBD STORE, AND FINALIST FOR BEST PLACE TO WORK HOW IT WORKS Treasure Coast 772-212-4032
VOL. 554 N 11Copyrighted© My Living Media. 2022 All Rights reserved. To Advertise call 772-247-6849 Need More Coupons - MyLivingMedia.com FAMILY OWNED & OPERATED • SCHEDULE ONLINE TODAY AT: FIRE, WATER, & MOLD DAMAGE RESTORATION SERVICE Immediate Response 24-HOUR EMERGENCY Minimum charges apply. Cannot combined with other offers. Residential and Commercial. Must present this Coupon at time of service. Valid at participating locations only. Certain restrictions may apply. Call for details. Lic. #CMC014066 Home and Of ce Disinfecting and Sanitizing Treatments 561-404-5668 WWW.STANLEYSTEEMER.COM STANLEY STEEMER SERVICES ® EPA-REGISTERED Disinfectant That Meets the EPA’s Current Criteria for use Against SARS-CoV-2, the Virus That Causes COVID-19 Eliminates Molds, Viruses, Bacteria, & Allergens $50 HOME Disinfectant Treatment Service Contracts Available Per Room Up To 300 Sq. Ft. 3 Room Min. for Residential Pricing OFFICE FREE ESTIMATES FREE ESTIMATES FOR ALL COMMERCIAL BUSINESSES WE PRE-TREAT YOUR FLOORS AND MOVE YOUR FURNITURE AT NO CHARGE WE PRE-TREAT YOUR FLOORS AND MOVE YOUR FURNITURE AT NO CHARGE $119 $149 $199 Expires 12/7/22 MLM TILE & GROUT OR WOOD FLOOR CLEANING HOME Which Air Are You Breathing? AIR DUCT CLEANING Only PER ROOM 3 ROOMS CARPET CLEANING Wool carpets extra. Area rugs not included in wall-towall cleaning. Up To 8 Vents *Any Room Up to 300 sq. ft. BEFORE AFTER OFFICE FREE ESTIMATES CALL TODAY RenUV Home & Of ce Air Puri er Removes Viruses, Bacteria, Mold, & Your Premier Golf Cart Dealer in Jupiter! We Offer the Following: VISIT US ONLINE @ Jupitergolfcartsales.com 800 Capital St., #E, Jupiter • Service/Maintenance • Custom Golf Carts • Rentals: Daily/Weekly/Monthly • Parts • Sales: Gas/Electric (2-6 Seaters) • Accessories • Registrations & More! 561-408-7058 $20 OFF OFF $150 ANY CUSTOMBUILT GOLF CART ANY SERVICE JOB Expires 11/30/22 Expires 11/30/22
Copyrighted© My Living Media. 2022 All Rights reserved. To Advertise call 772-247-6849 Need More Coupons - MyLivingMedia.com Located at: 651 W. Indiantown Rd., Jupiter • 561-746-2345 FREE Cleaning 50% Off Any Watch Battery 20% Off Any Repair MLM Coupon expires 11/30/22MLM Coupon expires 11/30/22MLM Coupon expires 11/30/22 Our Jupiter location is centrally located and We welcome you to meet Gabrielle Poplarchick, Jupiter’s One-Stop Shop For Your Hearing Needs! Schedule an appointment for you or a loved one: 2161B S. US Highway 1
New A/C Install Brush Duct Cleaning FALL A/C Tune Up Complete Home Package A/C Coil Cleaning Hablamos Español qualityairofamerica.com A/C NOT COOLING? LEAKING? FREE SERVICE CALL 100% Financing Available $0 Down $0 Interest Lic. # CAC 1820202 561-819-2998 772-448-9835 Super Service Award Winner 3 Years in a Row WITH ANY REPAIR Authorized dealer/service for all major brands REPAIR, REPLACE, OR DUCT CLEANING 10% Discount for expecting mothers, military, & senior citizens Do not be fooled by imitations. There is only one Quality Air of America. Starting at $2199✓ Free digital thermostat ✓ Free 5-Year Service Plan ✓ Free air duct treament Payments as low as $69/month ✓ 24-point AC inspection ✓ Adjust Freon Up to 1lb (R410) ✓ Basic Drain Line Cleaning ✓ Duct Camera Inspection ✓ FREE Attic Insulation Inspection ✓ FREE Duct Inspection ✓ Air Duct Vacuum Cleaning ✓ Vacuum through Main Vent Line ✓ Duct Camera Inspection ✓ Air Quality and Flow Check ✓ Attic Installation Inspection ✓ AC inspection and adjust Freon up to 1 pound (R410) ✓ Free Air Filter- delivered after visit Value $225Expires 12/9/22 Value $195Expires 12/9/22 Value $365Expires 12/9/22 Value $365Expires 12/9/22 Only $99 Only $19 Only $65 Starting At $199 DUSTY DUCTS, BAD ODOR FREE ESTIMATES Emergency Servicee Per Unit BLOW OUT SALEBLOW OUT SALE FALL SPECIAL DUMB A/C? Let Us Make it Smart! Per Unit ✓ Up to 5 Vents Cleaned
14 VOL. 554 N Copyrighted© My Living Media. 2022 All Rights reserved. To Advertise call 772-247-6849 Need More Coupons - MyLivingMedia.com NEED SHUTTERS THIS WEEK? Family Owned & Locally Manufactured Plantation Shutters • ANGLES & RAKES • ARCHES & SUNBURSTS • OTAGON, CIRCLE, HEXAGON • SILL COVERS & CAPS HORIZONTAL ARCH PLANTATION SHUTTERS SUNBURST PLANTATION SHUTTERS www.plantationshutters a.com Treasure Coast Palm Beach 772-600-4253 or 561-420-0418 Visit our manufacturing shop at: 406 Farmers Market Rd Ft Pierce, FL 34982 IN HOME ESTIMATESFREE $1695 SQ. FT. INSTALLED Starting at Plantation Shutters Florida™ Your Plantation Shutter Specialist Plantation Shutters Florida™ We are the Real Manufacturer Licensed & Insured CALL TODAY AND GET UP TO 10% DISCOUNT Restrictions may apply. Family-Owned Since 1997 the Original Paving Contractor InstallationWeSpecializeIn&Repair • A+BBB • 10-Year Warranty • Over 50 Years of Experience in Brick Paving 561-257-5775 PAVERS ARTIFICIAL GRASS 312 Center Street • Jupiter, FL 33458 www.TripleMBricks.com • MMMBRICKPAVERS@AOL.COM • Paver Repairs • Interlocking Brick Pavers • Old Chicago Bricks • Travertine • Driveways • Walkways • Patios • Pool Decks • Pool Remodeling - KID & DOG FRIENDLY - NO WATER - NO FERTILIZER - NO MUD - NO ITCHY GRASS - GREEN YEAR ROUND Refresh your Backyard with Arti cial Grass, an Outdoor Kitchen, and Pavers With this MLM Coupon. May not be combined with other offers. Expires 11/30/22 ANY INSTALLATION $100 OFF FREE ESTIMATES! Licensed and Insured License#U20229 BRICK PAVERS & ARTIFICIAL GRASS
Need More Coupons - MyLivingMedia.com WITH THIS MLM COUPON. OFFER EXPIRES 12/7/22 Offer Valid for Same-Day Service Only FREE IN-HOME ESTIMATE 30% OFF – PLUS –™ YOUR BEAUTIFUL NEW FLOORING IS JUST A CALL AWAY! 772-277-7562 561-277-0375 OXFLOORS.COM WE TAKE THE BORING OUT OF YOUR FLOORING! 10X STRONGER BOND THAN EXPOXY™ Garages Patios Pool Decks Driveways & Much MORE!
16 VOL. 554 N Copyrighted© My Living Media. 2022 All Rights reserved. To Advertise call 772-247-6849 Need More Coupons - MyLivingMedia.comHURRICANE IMPACT WINDOWS & DOORS PROTECT WHAT’S PRECIOUS TO YOU! • Hurricane Protection • Home Security • Save on Energy Bills • Save on Insurance Costs • Increase Property Value • Noise Reduction Your Expert in Single Family Homes & Condos! “Our service & products are second to none!” The People’s Choice In Hurricane Protection! 561-336-6511 SAME DAY Appointments! AS LOW AS $120 MO. FINANCING Available! We Beat ALL Competitors’ Pricing CALL FOR DETAILS INSTALLATION & NO SALES TAX. EXP 11/30/22 License #CBC1264950 & INSURED Serving Palm Beach, Martin, & St. Lucie Counties 50% Off
VOL. 554 N 17Copyrighted© My Living Media. 2022 All Rights reserved. To Advertise call 772-247-6849 Need More Coupons - MyLivingMedia.com Emergency Care Teeth Whitening Cosmetic Dentistry Same-Day Treatment Family Dentistry Always Accepting New Patients & Walk-Ins Ask About Our In-House Plan Hours: Mon - Fri 8:30AM-5:00PM 3889 Military Trail #102 Jupiter, FL 33458 561-861-2611 www.dbd .com NEW PATIENT SPECIAL $99 D0150 Exam D0210 X-Ray D1110 Cleaning in absence of periodontal disease D0330 Panoramic X-Ray Expires 11/30/22SE HABLA ESPAÑOL Now Offering: FREE Whitening for new patients for a year! Licenced Contractor #MCN56662 #SCC131152195 561-810-1305 | www.coastalclosetsandshowers.com Visit our factory showroom at 4483 SE Commerce Ave, Stuart, FL 34997 Up to $300 off your new Custom Closet* Lifetime Warranty & FREE Glass Protection on your Custom Glass Shower Offers valid until November 30 2022. Coupon must be presented at time of consultation. *purchase of $2500 or more necessary. Home Solutions You’ll Be Thankful For! closet | office | garage | wall bed | wall units shower doors | glass wine rooms | store front glass CUSTOM CLOSETS AND SHOWERS DOORS
18 VOL. 554 N Copyrighted© My Living Media. 2022 All Rights reserved. To Advertise call 772-247-6849 Need More Coupons - MyLivingMedia.com SOLAR SHADES Manual or Motorized available Seaglass Window Fashions • Stained Wood Plantation Shutters • Zebra Shades • Honeycomb Shades • Woven Wood Shades • Sheer Shades American Made 561-430-4440 Quick Turnaround! PBG, Jupiter, Palm City, Stuart, Port St. Lucie White Poly Vinyl Plantation Shutters
VOL. 554 N 19Copyrighted© My Living Media. 2022 All Rights reserved. To Advertise call 772-247-6849 Need More Coupons - MyLivingMedia.com Non-Surgical Hair Replacement MEN, WOMEN & CHILDRENfor • Mens Systems • Womens Systems • Wigs & Maintenance • Toppers • Extensions • Epigenetic Testing Restore Your Confidence Complimentary Consultation in A Private Setting 4050 S. US Hwy 1, Suite 317, Jupiter • 561-725-5170 jupiterhaircenter.com 20% $99 $99 Off ANY HAIR SYSTEM EXTENSIONS INSTALLATION EPIGENETIC TESTING New Clients Only. WITH THIS MLM COUPON. New Clients Only. WITH THIS MLM COUPON. New Clients Only. WITH THIS MLM COUPON. Find Out the Cause of Hair Loss
20 VOL. 554 N Copyrighted© My Living Media. 2022 All Rights reserved. To Advertise call 772-247-6849 Need More Coupons - MyLivingMedia.com WHOLESALE FENCING INSTALLATIONS & REPAIRS HOME OF THE LOWEST PRICE GUARANTEE Honest, Trustworthy, Hassle-Free Service From A Family-Owned Business FREE GATE WITH PURCHASE OF EVERY 150 FT. OF FENCING. UP TO A $450 VALUE FENCING SOUTH FLORIDA 561-612-2018 With this MLM coupon. Not valid with any other offer or prior purchases. Offer expires 12/9/22 PVC/VINYL FENCING CHAIN LINK FENCING “We guarantee to beat any price you have from any legitimate fence company” Licensed &Insured Broward 11-F-17403-X Palm Beach U-21752 WWW.FENCINGSOUTHFLORIDA.COM OFFICE 561-612-2018 SERVING BROWARD & PALM BEACH FREE REMOVAL OF EXISTING FENCE WITH PURCHASE OF NEW FENCING NO MINIMUM REQUIRED (excludes hurricane damaged fencing) FENCING SOUTH FLORIDA 561-612-2018 With this MLM coupon. Not valid with any other offer or prior purchases. Offer expires 12/9/22 Visit our website to see our episode on Designing Spaces NOW INTRODUCING OUR NEW ART DIVISION Custom Metal Works in Any Shape and Style added to your fence, gates, entry door, and interior or exterior house walls WOOD FENCING ALUMINUM FENCING WE DO IT RIGHT THE FIRST TIME FOR LESS. …not your typical pawn shop. FREE 30% Off 561-575-5656 20% Off FREE Cleaning & Evaluation 360 W Indiantown Rd | JUPITER Certified Diamond Rings & Jewelry UP TO Cleaning Cloth with purchase of any jewelryover $300 Designer Handbags *Most Jewelry Pieces. Expires 11/30/22 Expires 11/30/22 Expires 11/30/22 Expires 11/30/22
• 24 Craft Tacos • Full Bar • Live Music BAR & GRILL 3-6 DAILY 2 for 1 Margaritas LIVE MUSIC Tuesday, Friday, & Saturday $30 Purchase or More APPETIZER CHIPS & SALSA DINNER With this MLM Coupon. Cannot be combined with other offers. Expires 11/30/22 With purchase of an entrée. With this MLM Coupon. Cannot be combined with other offers. Expires 11/30/22 With this MLM Coupon. Cannot be combined with other offers. Expires 11/30/22 $5 FREE FREE OFF Buy 1 Entrée at Regular Price, Get the Second Entrée Half Off Valid for Dinner only - With this MLM Coupon. Cannot be combined with other offers. One coupon per table. Expires 11/30/22 50%OFF With purchase of $25 or more 1155 Main Street Abacoa, Jupiter 561-508-3789 Sun-Thurs 11am-9pm • Fri - Sat 11am-10pm ALL DAY HAPPY HOUR 11:00AM-6PM TACO TUESDAY SPECIAL 2 FOR 1 MARGARITA Delivered by
22 VOL. 554 N Copyrighted© My Living Media. 2022 All Rights reserved. To Advertise call 772-247-6849 Need More Coupons - MyLivingMedia.com The Gardens Mall / 3101 / PGA Boulevard / Palm Beach Gardens 561.622.0491 THE PERFECT DINNER FROM ROMANTIC ITALY Call Today To Make A Reservation! To Go/Curbside/Delivery Available JOIN US FOR OUR FAMOUS HAPPY HOUR MONFRI 3PM  6PM From our fresh seafood, grilled steaks and housemade pastas, our dishes are sure to satisfy. See for yourself and join us for lunch or dinner today! The Perfect Start to Any MealFREE APPETIZER! Enjoy One FREE Appetizer with the Purchase of Two Entrees* Must purchase two entrees at full price to receive free appetizer. Dine in only. May not be combined with any other offers or discounts. Present coupon to redeem offer. Dine In Only! Expires 11/30/22 Thanksgiving Day Dinner… 39.99 Includes: Roasted Sliced Turkey White Meat Italian Sausage Stuffing Roasted Garlic Mashed Potatoes Green Beans • Cranberry Sauce Fixing P.P. We are also offering Home Catering Packages for 3-20 people Please visit our Website to order all Catering Packages. Sun -Thurs: 11am - 9 pm; Fri -Sat: 11 am -10 pm www.brioitalian.com 14133 US Hwy. 1 • Juno Beach 561-318-5466 Join Us For Fall Dining 20% Off 1/2 OffDinner Entrées & Specials Bottle of House Wine4:30PM-6PM *Cannot be combined with any other offer. *Excludes Pizzas, Salads, & Sandwiches. *Dine-in only, No Sharing. Expires 11/30/22 SCAN HERE FOR FULL MENU *Cannot be combined with any other offer. *Excludes Champagne. Expires 11/30/22 Entertainment Must present coupon or picture of it to receive discount. Expires 11/30/22.
VOL. 554 N 23Copyrighted© My Living Media. 2022 All Rights reserved. To Advertise call 772-247-6849 Need More Coupons - MyLivingMedia.com SIMPLE • HEALTHY • FRESH! 1155 MAIN ST #112 JUPITER 561-557-3949 SCAN FOR MENU On Any Boba Teas FREE Buy 1 Tea, Get 1 Expires 11/30/22 • Build Your Own Poke Bowl • Boba Teas • Japanese Desserts New Ownership! 12214 US Hwy One Juno Beach, FL 33408 Monday - Saturday 9am - 5pm (561) 625-6544 NEW Take Out & Catering Menu $5OFF Minimum of $50 With this MLM coupon. Cannot be combined with any other offers or specials. Expires 11/30/22 With this MLM coupon. Cannot be combined with any other offers or specials. Expires 11/30/22 With this MLM coupon. Cannot be combined with any other offers or specials. Expires 11/30/22 10% OFF Any Catering Order over $200 $5OFF 1/2 Tray Pre-Ordered Family-Size 1/2 Tray (Lasagna, Baked Ziti, Rigatoni w/ Vodka Sauce, Sausage, Peppers & Onions, or Pasta Bolognese) Visit our website for all NEW DISHES! 48-Hour Notice for all Catering Orders
24 VOL. 554 N Copyrighted© My Living Media. 2022 All Rights reserved. To Advertise call 772-247-6849 Need More Coupons - MyLivingMedia.com CELEBRATION CAKES! • Over 13 Cake Flavors • Over 12 Fillings • Over 12 Frosting Flavors AND OTHER BAKED GOODS... THEY’RE DIVINE! Let us make your occasion divine Custom 561-783-5640 SCAN HERE TO VISIT OUR INSTAGRAM $ 50 OFF CUSTOM CAKES STARTING AT $450 With this MLM coupon. Expires 11/30/22 • Wedding Cakes • Birthday Cakes • Cake Pops • Cupcakes “The best restaurant I’ve ever been to, the food is amazing.” –Nina Charles 15% OFF ENTIRE MENU• Award-Winning Sweet-Heat Marinara • 1.5 Years in Business • Close to 700 reviews and 99% of them are ★★★★★ • Owners are (2) Italians and (1) Irishman from New York www.plantbasedma a.com 561-783-5131 7100 Fairway Drive, Suite 52 Palm Beach Gardens Sun - Thurs 11am to 9pm Fri - Sat 11am to 10pm Sat - Sun - Bangin Brunch 11am to 3pm Must present this coupon to your server. Not valid on tax or gratuity. Cannot be combined with other offers. One coupon per table per visit. Expires 11/30/22.
VOL. 554 N 25Copyrighted© My Living Media. 2022 All Rights reserved. To Advertise call 772-247-6849 Need More Coupons - MyLivingMedia.com –– JUNO BEACH ––TAKE OUT • DELIVERY • PARTY TRAYS Lobster Rolls ~ Specialty Rolls ~ Tacos & Sliders Sides ~ Desserts ~ Kids Menu 14151 US Hwy 1 561-660-8489 $5OFF $30 OR MORE Expires 11/30/22 MEN’S POLO SHIRT by 7 Diamonds VILLAGE BOOTERY SHOE STORES 245 U.S. Highway One • Tequesta 561.746.3536 $10 OFF Your next Village Bootery purchase Expires 11/30/22. Discount not available on sales merchandise. 3755 Military Trail Suite B8 Jupiter • www.benedittispizza.com 561-250-6523 Mon.- Thur: 11am - 9pm Fri. & Sat: 11am-10pm • CLOSED SUNDAY BEST PIZZA IN TOWN DINE-IN TAKE-OUT DELIVERY 2 LARGE CHEESE PIZZAS WITH ONE TOPPING MON-WED CASH SPECIAL LARGE CHEESE PIZZA 1 LARGE CHEESE PIZZA AND 10 WINGS $2999 $2599 Must present MLM coupon. Cannot be combined with other offers. Dine in, Take out, or Delivery Expires 11/30/22 Must present MLM coupon. Cannot be combined with other offers. Dine in, Take out, or Delivery Expires 11/30/22 Must present MLM coupon. Cannot be combined with other offers. Dine in, Take out, or Delivery Expires 11/30/22 $1249 Pickup Only
26 VOL. 554 N Copyrighted© My Living Media. 2022 All Rights reserved. To Advertise call 772-247-6849 Need More Coupons - MyLivingMedia.com YOUR NEXT PRODUCT PURCHASE Natural Pet Food • Boutique • Grooming Catering to Your Pet’s Health! 155 Toney Penna Drive, Suite 6, Jupiter, FL 33458 1/2 mile South of Indiantown Road, between Alternate A1A & Military Trail Largest selection of natural, holistic, & raw pet food, including raw meaty bones, chicken necks, & tripe. 561.748. PAWS 7297 info@healthepetsmarket.com WWW.HEALTHEPETSMARKET.COM Certi ed NutritionPet Specialist Healthy options for cats and dogs, including supplements and vitamins, plus all of your pet’s favorite treats. 10%offToys • Bones • Bedding • Leashes • Collars • Grooming Supplies and more. (Mon.-Sat.) • 8:30am - 7:00pm (Sunday) • 11:00am - 4:00pm EXCLUDING FOOD & GROOMING Must present coupon at time of service. Not valid with any other offer. Expires 11/30/22 FREE CONSULTATION 10% OFF561.855.6595 Let Us Make Your DreamA Reality! LIC# CGC1525942 825 15th Street Lake Park • Custom Cabinets • Closets • Kitchens • Bathrooms • Doors & Windows • Custom Millwork Any Remodeling Job. Must Book Before 11/30/2022 Total Ima g e With this MLM coupon
VOL. 554 N 27Copyrighted© My Living Media. 2022 All Rights reserved. To Advertise call 772-247-6849 Need More Coupons - MyLivingMedia.com • Expert Lamp Repair & Restoration • Bring In Your Lamp For A Proper Fit! Best Selection of Lampshades in Florida! ANY SHADE IN THE STORE Expiration 12/7/22 $10 OFF $39.00 and Up 772.221.0222 Cedar Pointe Plaza 2461 SE Ocean Blvd. Stuart, FL 34996 Custom-Made Lamps & Shades ... Bring Your Lamp for a Proper Fit! Health & Beauty Products • Anti-Aging Cream • Glutathione Injections • Anti-Fungal Solutions • Arousal Cream • Biotin Injections • Vitamin D3 Injections • NAD+ Injections • B12 Injections • Vitamin C Injections • Lipo Tropic Injections • Coenzyme Q10 Delivered To Your Residence From A USA Pharmacy Video Or Phone Dr. ConsultationGo Online to* *TeleHCG.com or *NewBeginningsMedical.com 877-424-9994 BELLA BENEFITS INTRODUCTORY PRICING CONTENTS OF EACH BELLA CAPSULE• Weight Loss • Appetite Suppression • Mood Improvement • Increase Energy • Improved Sleep • Reduced Hunger • Increase Libido • Reduce Anxiety • Increase Strength • Phentermine • Diethylpropion • Topiramate • Naltrexone • Methylcobalamin:B12 30-DAY SUPPLY 90-DAY SUPPLY Reg. Price ...................... $293 Introductory Price ........................... $238 Reg. Price ...................... $711 Introductory Price ........................... $596 $55 SAVINGS $115 SAVINGS INTRODUCING A NEW WEIGHT LOSS PRODUCT Pharmaceutical Grade HCG DIET Lose up to 1 Pound Per Day HCG NOW AVAILABLE FREE
Copyrighted© My Living Media. 2022 All Rights reserved. To Advertise call 772-247-6849 Need More Coupons - MyLivingMedia.com HAPPY HOUR 3-6 PM Daily WINE DOWN WEDNESDAY 50% OFF All Wines by the Glass & Bottle ALL DAY!! FREE Bottle of Wine with $50 Purchase$25 3-Course Menu $58-$60 Family Meals to Go (Temporary hours: 3-9 pm) INDOOR/OUTDOOR Social Distance Dining Available TAKEOUT • CURBSIDE PICKUP FREE DELIVERY (with $20 or more within 5 miles) ORDER ONLINE 561.444.3345 MONDAY & TUESDAY LARGE CHEESE PIZZA $10 Pick Up Only Cash Only With this MLM coupon. Not valid with any other offers. Expires 11/30/22 WEDNESDAY BUY 2-TOPPING PIZZA GET ONE LARGE CHEESE PIZZA  Pick Up Only & Delivery Only With this MLM coupon. Not valid with any other offers. Expires 11/30/22 FREE 12100 Hwy., US-1 Ste A • North Palm Beach www.TiramisuPizzeria.com • Like & Follow Us! Relax, Recharge, Rejuvenate. Must present MLM Coupon for discount. Expires 12/31/22 Swedish Massageor Acupuncture Deluxe Hydrofacial Deep Tissue Massage Includes Booster & Celluma Light BioElectric DDS www.absolutewellnessspa.com 221 Greenwich Cir #101 • Jupiter (Between Donald Ross and University Dr.) Call Linda or Greg 561-254-7572 Custom Deep Pore Facial $65 By Appointment Only $59 50 min. Gift Certificates Available Facials, Massage & Acupuncture MM19098 MA46698 New Location WINDOWS • ENTRY DOORS • PATIO DOORS • INSULATED SIDING • SHUTTERS • TRIM Lifetime Limited Warranty Guaranteed Low Pricing 0% Interest • 15 Months1 Free No-obligation In-home Quotes IMPACT WINDOWS STARTING AT Hurricane Impact White Vinyl Double Hung Insulated Window $599 COMPARE AT $1,000 This Window World® franchise is independently owned and operated by West Palm Windows and Doors LLC d/b/a Window World of West Palm Beach under license from Window World Inc. Fully licensed & insured. License No. CGC1514205 Previous sales are excluded and o ers cannot be combined. 1No interest if paid in full within 15 months with regular monthly payments. Bank approval needed. Must qualify. Ask for details. “Not only do we stand behind our windows... we stand on them!”® - Dennis Burdge 3927 Westgate Ave., West Palm Beach, FL 561-291-7578 WindowWorldOfWestPalmBeach.com For more information, visit EnergyStar.gov. Get Your Energy Tax Credit on Windows & Doors!

came in for a weekend emergency. Dr. Habashy was gentle, funny, and able to get me out of pain quickly”

A.

Habashy is a great dentist! Always puts me at ease and takes care of me. I go wherever he is!” —Christina C.

Dr. Habashy definitely deserves 10 plus stars. This was me and my family first time visiting his office. He’s very gentle and caring. My kids loved him so he’s a winner in my books. So many great things to say about him. Book him you will not regret it.” —Yolanda W.

dental office I’ve ever been to. Calm atmosphere with top quality staff. You can even watch TV! Will definitely be coming back again.” — Kevin J.

root canal of my life! And the crown looks beautiful! Dr. Habashy is the best dentist” . — Eric L.

VOL. 554 N 29Copyrighted© My Living Media. 2022 All Rights reserved. To Advertise call 772-247-6849 Need More Coupons - MyLivingMedia.com SIGNATURE PRINT NAMEDATE Making top-quality DENTISTRY AFFORDABLE! Palm Beach Gardens | 4595 Northlake Blvd., Suite 103 Call to schedule your appointment today! 561-427-7711 www.HabashyDental.com When it comes to your smile, we provide top-quality services with a gentle touch. We make sure your comfort is our priority and are committed to giving you a beautiful smile that lasts a lifetime. Financing Available • Affordable Pricing Most Insurances Accepted • On-Site Implants Open Saturdays & Evenings We’ll help you smile WITH CONFI DENCE! ★ ★ ★ ★ ★ “I
—Christina
★ ★ ★ ★ ★
★ ★ ★ ★ ★“
★ ★ ★ ★ ★
★ ★ ★ ★ ★“Easiest
New Patient Specials: New Patient Specials: New Patient Specials: $99 $300 OFF Cleaning, Complete Patient Exam, & X-rays Crowns, Root Canals, or Implants Complimentary Implant Consultation With this MLM coupon. Not valid with other offers or prior services. Expires 11/30/22 With this MLM coupon. Not valid with other offers or prior services. Expires 11/30/22 With this MLM coupon. Not valid with other offers or prior services. Expires 11/30/22 includes 3D Cone Beam X-Ray (Valued $364).
“Dr.
“Nicest
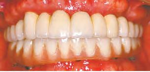
30 VOL. 554 N Copyrighted© My Living Media. 2022 All Rights reserved. To Advertise call 772-247-6849 Need More Coupons - MyLivingMedia.com 561.468.8230THE PATIENT AND ANY OTHER PERSON RESPONSIBLE FOR PAYMENT HAS A RIGHT TO REFUSE TO PAY, CANCEL PAYMENT, OR BE REIMBURSED FOR PAYMENT FOR ANY OTHER SERVICE, EXAMINATION, OR TREATMENT THAT IS PERFORMED AS A RESULT OF AND WITHIN 72 HOURS OF RESPONDING TO THE ADVERTISEMENT FOR THE FREE, DISCOUNTED FEE, OR REDUCED FEE SERVICE, EXAMINATION, OR TREATMENT. SCAN FOR WEBSITE & SERVICES We accept most major insurance plans & Medicare 4601 Military Trail #202, Jupiter HOURS MONDAY-FRIDAY 8:30AM-5:00PM FOOT, ANKLE, OR VEIN ISSUES? WE CAN HELP!Rel … DR. ORLANDO CEDENO DPM Podiatrist Foot & Ankle Surgeon Located in Jupiter, FL $100 OFF SCLERO VEIN THERAPY With this MLM coupon. Expires 11/30/22BEFORE AFTER • Foot Ankle Surgery • Bunion Surgery • Cysts & Warts • Fractures & Breaks • Ankle Arthritis • Diabetic Foot Conditions • Minimally Invasive Foot Surgery • Hammer Toe • Ingrown Toe Nails • Varicose Veins Treatment • Neuropathy Solutions • Nerve Decompression in Foot Live 24/7 Answering PDSMartin.com Locally Owned & Operated 561-819-4530 Expires 11/30/22. Our proprietary springs will not rust or corrode and last up to 4 times longer!
VOL. 554 N 31Copyrighted© My Living Media. 2022 All Rights reserved. To Advertise call 772-247-6849 Need More Coupons - MyLivingMedia.com PRICES ARE SUBJECT TO CHANGE WITHOUT NOTICE WITH THE EXCEPTION OF PREVIOUSLY SCHEDULED TREATMENT PLANS. NEW TREATMENT PROGRAM ONLY. THE PATIENT AND ANY OTHER PERSON RESPONSIBLE FOR PAYMENT HAS THE RIGHT TO REFUSE TO PAY, CANCEL PAYMENT OR BE REIMBURSED FOR ANY SERVICE EXAMINATION OR TREATMENT WHICH IS PERFORMED AS A RESULT OF AND WITHIN 72 HOURS OF RESPONDING TO THE ADVERTISEMENT FOR THE FREE, SERVICE, EXAMINATION OR TREATMENT. LIC #DN10761 OPEN MON.-FRI. SATURDAY & EVENING HOURS AVAILABLE JUPITER 561-250-6307 6390 W. Indiantown Rd., #32, Jupiter, FL 33458 At the West End of the Chasewood Plaza AppearanceImplants.com OPEN FOR EMERGENCIES | AFFORDABLE DENTAL EXCELLENCE IS NOW HERE! WE ARE PRIVATELY OWNED, NOT A CHAIN OR CORPORATE ENTITY. WE SPECIALIZE IN FULL MOUTH RECONSTRUCTION Additional services we offer include CLEAR TOOTH ALIGNERS, SINGLE IMPLANTS, DENTURES & MORE!!! FREE IMPLANT CONSULTATION (Exam & Digital X-Ray or 3D Cone Beam) (D0150, D9310, D0330 & D0383) SureSmile® OR CLEAR TEETH ALIGNERS OUR DENTISTS HAVE OVER 100 YEARS OF COMBINED EXPERIENCE & HAVE PLACED OVER 15,000 IMPLANTS You Des ve a Beautiful Smile! SALVATORE MELITA, DDS ALANA SHIELDS, BSN, RN, DMD JAY GELMAN, DMD JOSEPH GAETA JR., DDS Better On 8™ SALESPERSON:MelissaKelleyTR-1968533.INDD ISOUR37YEARTRADITION DentistOwned,Not “Hi,I’mMarkLindsay,andthat smeontheEdSulli nSho s, including ‘Kicks rizona.’Mytrademark saponytailandateenidolsmile.Theponytail’sbeen go fo awhile,butasasinger smileisstillsuperimportant.I cently nprocedure. Thestaff elcomfortablefromthe allyimpressedwiththeir dentalofficeandthedentistdidanoutstandingjob. Tradition Dentaltransformed ep my smile —MarkLindsay
WE WILL MEET OR BEAT ANY WRITTEN ESTIMATE ON IMPLANTS, ROOT CANALS, & CROWNS! WALK-INS WELCOME EVENING APPOINTMENTS AVAILABLE Cleaning Porcelain Fused to Metal Crown Zirconium All Porcelain Crown $59 $699 $899 Includes Free Exam & X-Rays New Patients Only LIMITED OFFER (D1110, D0150, D4355,D0330) (D2751) (D2740) FULL ROUND HOUSE BRIDGE A Better Alternative to All-On-4 Benefits • Very little, if any
• Does
• Require no special abutments (All-on-4 protocol requires angle correct on abutments which are not bone or gum tissue friendly) • Usually do not need pink porcelain at the gumline (because aggressive bone removal is not necessary) D6010, D6056, D6240, D6060 BETTERON8.COM D6010, D6056, D5863, D5865, D5862 PER ARCH WITH LOCATORS PER ARCH D6010, D6056, D6065, D6060 50% SAVINGS WE USE MEGAGEN IMPLANT SYSTEMS Implant, Abutment, and Zirconium Crown Implant, Abutment, and Crown Only$1,899 Only$2,099 D7140 DENTURES ECONOMY $359 INTERMEDIATE $999 DELUXE $2,000 D5810/D5811 D5130/D5140 D5110/D5120 With Simple Extractions Starting at $99 We will beat any like-priced quote $9,999 Implant and Abutments Placed Crown and Bridge Porcelain Fused to Metal Implant Abutments Placed $14,500 FULL MOUTH RECONSTRUCTION ROUND HOUSE BRIDGE 8/6 IMPLANTS & 12 UNITS OF CROWNS starting at starting at
“Hi, I’m Mark Lindsay, and that was me on the Ed Sullivan Show. I sang every hit song for Paul Revere & the Raiders, including ‘Kicks,’ ‘Indian Reservation,’ and my solo ‘Arizona.’ My trademark was a ponytail and a teen idol smile. The ponytail’s been gone for awhile, but as a singer my smile is still super important. I recently visited Appearance Dental for an implant and crown procedure. The staff was courteous and made me feel comfortable from the moment I walked in the door. I was really impressed with their dental office and the dentist did an outstanding job. Appearance Dental transformed my smile, and I trust them to keep my smile looking revolutionarily good.” — Mark Lindsay Read all of our testimonials at AppearanceImplants.com
speech changes
not cover any part of the palate
Can be cleaned just like bridges on teeth
Need More Coupons - MyLivingMedia.com ZERØ! Ø Tax Ø Interest Ø Payments /24 MONTHS /24 MONTHS FINANCING DISCLOSURE: Contractor is neither a broker nor a lender. Financing is provided by third-party lenders unaffiliated with Contractor, under terms and conditions arranged directly between the customer and such lender. All subject to credit requirements and satisfactory completion of finance documents. Any finance terms advertised are estimates only. PATIO ENCLOSURES BRING YOUR OUTDOORS Home Gym Dream Office
VOL. 554 N 33Copyrighted© My Living Media. 2022 All Rights reserved. To Advertise call 772-247-6849 Need More Coupons - MyLivingMedia.com 561-781-9677 772-403-9677 FREE Quote *MaxGuard is not responsible for delays outside of it’s reasonable control including but not limited to HOA and permitting approval or manufacturing delays. ENCLOSURES OUTDOORS INDOORS Entertainment Room Outside Patio Outdoor Enclosure -Patio Dining
34 VOL. 554 N Copyrighted© My Living Media. 2022 All Rights reserved. To Advertise call 772-247-6849 Need More Coupons - MyLivingMedia.com • Hurricane Protection • Home Security • Energy Efficiency • Reduced Insurance Costs • Increased Property Value • Sound Reduction Licensed & Insured SCC131151738 Hurricane Windows & Doors Don’t Get Caught Off Guard, Use Florida’s www.MaxGuardHurricane.com
VOL. 554 N 35Copyrighted© My Living Media. 2022 All Rights reserved. To Advertise call 772-247-6849 FREE Quote! Call Today Windows *FINANCING DISCLOSURE: Contractor is neither a broker nor a lender. Financing is provided by third-party lenders unaf liated with Contractor, under terms and conditions arranged directly between the customer and such lender, All subject to credit requirements and satisfactory completion of nance documents. Any nance terms advertised are estimates only Florida’s #1-Rated Hurricane Window ZERØ! Ø Tax Ø Interest Ø Payments /24 MONTHS /24 MONTHS 561-566-5629 772-932-5629
36 VOL. 554 N Copyrighted© My Living Media. 2022 All Rights reserved. To Advertise call 772-247-6849 Need More Coupons - MyLivingMedia.com www.GoalsWeightLoss.net GOALS WEIGHT LOSS FREE 50% OFF CONSULTATION All Weight Loss ProgramsPlus Must present this MLM coupon for discount. Expires 12/7/22 Guaranteed Results 561-283-1011401 Maplewood Dr., #2, Jupiter (Maplewood Center behind Home Depot) BEFORE AFTER LOST 60 POUNDS! Without Surgery LOST 95 POUNDS! Without Surgery BEFORE AFTER BEFORE AFTER LOST 40 POUNDS! Without Surgery Lose Weight QUICK! • Eat Real Food • No Exercising Required! • Private Counseling • Medically Supervised • NO Hormone Supplements • Individual Plans – PHENTERMINE AVAILABLE –
Located in the YumYum Plaza 815 S. US Hwy. 1, Jupiter FL 561-781-3696 HOME FURNISHINGS INSPIRED BY The Salt, Sand, & Sea Classic & Timeless Furniture, Unique Coastal Lighting, Accessories, & Rugs summerhousefurniture.com Mon.-Sat. 10am-6pm | Sun. 12:30pm-5pm
38 VOL. 554 N Copyrighted© My Living Media. 2022 All Rights reserved. To Advertise call 772-247-6849 Need More Coupons - MyLivingMedia.com 561-782-8184 • Boost Immune System • Improve Mental Clarity • Alleviate Covid-19 pounds and side effects • Increase Energy NEXT TRANSFORMATION PACKAGE A B IBLICAL A PPROACH U SING F OOD A S M EDICINE ! TRANSFORM YOUR BODY IN 30 DAYS! 25% OFFCOACHING TO Reign Health & Wellness Coaching https://form.jotform.com/222574816501151 Program Starts Sunday, November 27th Your Investment is $245 NOW HIRING CALL TODAY! Experienced Electricians $50 OFF ANY JOB OVER $500 Cannot be combined with other discounts or offers. With this MLM coupon. Expires 12/9/22 Need An Electrician? FREE ESTIMATES Lic # EC13007910 1-833-ACE-CART(223-2278) Aceofcarts.com Ace of Carts 4880 SE Federal Hwy., Stuart • 2nd Location 552 US Hwy. 1 North, Tequesta Must be a 2022 Model Year Club Car from dealer stock. Offer Valid through December 7, 2022 or while supplies last. Financing is available with standard rates. Not eligible for 0% Financing promotion; offers do not combine. Promo code:MLM822 Over 200 Brand New Club Cars in stock! $1,000 in FREE Accessories, FREE Delivery Destination, & Setup Charges. REGISTER ONLINE TO GET https://aceofcarts.com/red-tag/ SALES• SERVICE • PARTS Now Open in Tequesta! AUTHORIZED DEALER Carts in Stock & Ready for Delivery
2560 RCA Blvd. Suite 101 • PBG • 33410 • www.pbgdentist.com The patient and any other person responsible for payment have the right to refuse to pay, cancel payment, or be reimbursed for any other services, examination, or treatment which is performed as a result of and within 72 hours of responding to the advertisement for the free service, examination, or treatment. Samuel J. Holcroft D.M.D., P.A. SERVICES INCLUDE Samuel J. Holcroft Family & Cosmetic Dentistry Please Mention Code OMS for discounted prices when booking. WHAT SETS US APART • 0% Financing Thru Care Credit. O.A.C. • Most Dental Insurance Plans Accepted • Adults & Children • Nitrous Oxide Gas & Oral Sedation if Desired • Partials & Dentures • Root Canals • Grinding Guards • Extractions • Digital X-Rays • Routine & Deep Cleanings • Tooth-Colored Fillings & Bondings • Crowns & Veneers • Implants & ImplantSupported Bridges A $400 VALUE. FOR NEW PATIENTS ONLY. May not be used with any other coupon. For best results should be used within 3 months of last cleaning. Expires 11/30/22 EMERGENCY PATIENT SPECIAL TOOTHACHE? $50 With this MLM coupon. Please mention this ad when calling for appointment. Cannot be combined with any other offer. Expires 11/30/22 Including X-Ray (D0220) and Exam (D0140) $200 TEETH WHITENINGNEW PATIENT SPECIAL $79 With this MLM coupon. Please mention this ad when calling for appointment. Cannot be combined with any other offer. Expires 11/30/22 Including FMX (DO210), EXAM (D0150) & CLEANING (D1110) Is your dentist open on Friday and Saturday? We are! NOW OPEN FRIDAYS & SATURDAYS! 561-622-5600 MENTION CODE SMILE TO BOOK YOUR APPOINTMENT
40 VOL. 554 N Copyrighted© My Living Media. 2022 All Rights reserved. To Advertise call 772-247-6849 Need More Coupons - MyLivingMedia.com 772-783-9517 I.M.A.Landscaping@gmail.com IMA LANDSCAPING TREE & PALM SERVICES With this MLM Coupon FREE STUMP REMOVAL Get 1 Free Stump Removed w/Purchase of 3 Stump Removals We BeatAnyEstimateWritten Lic & Ins Serving PSL, Martin, Palm Beach FREE ESTIMATES WE SPECIALIZE IN TREE REMOVAL • Rock & Stone Install • Palm/Tree Removal • Irrigation install & Services • Stump Grinding • Mulching & Sod Installed • Tree Trimming TREE & PALM TRIMMING • Pressure Washing • Brazilian Pepper Tree Cut Back & Removal • Installation/Design • Lawn Maintenance • Clean Ups/Hauling • Weeding & Much More • H.O.A. Complaint Letters • H.O.A Approved • Hazardous trees that are too close to the roof Get ready for the Holidays! Add new mulch, plants & flowers to your landscape. • RESIDENTIAL • COMMERCIAL • MARINEWINDOW TINTING NO AUTOMOBILES off$30 Any order over $100 Exp. 12/31/22 SAVE ON Y OUR E LECTRIC B ILL !! Over 40 Years of Experience 772.244.2990 www.mrtintofamerica.com TINT YOUR WINDOWS Highest Quality Film at the Lowest Prices Reduce Heat Load Eliminate Glare Minimize Fading BEST OF ALL We come to You! BeforeBefore AfterAfter Make Your Shower & Floors Look New Again! • Tile & Grout Cleaning • Grout Restoration • Tile & Grout Repair • Loose & Hollow Tile Rebonding • Shower Repairs & Regrouting • Non-Slip Tile Treatment Call today for a FREE Estimate • 772-224-3011 or 1-800-561-3736 • www.GroutsmithStuart.com SEE THE DIFFERENCE WE CAN MAKE IN THE LOOK OF YOUR HOME! Your Grout & Tile Cleaning Experts $30OFF ANY JOB OF $300 OR MORE $50OFF ANY JOB OF $500 OR MORE With this MLM coupon only. Cannot be combined with any other offers or specials. Expires 12/9/22 No More Dirty Grout! Before Before After After With this MLM coupon only. Cannot be combined with any other offers or specials. Expires 12/9/22 Guaranteed for10 Years! THE GROUTSMITH
VOL. 554 N 41Copyrighted© My Living Media. 2022 All Rights reserved. To Advertise call 772-247-6849 PREVENT LEAKS AND WATER DAMAGE CALL TODAY for your FREE Roof Inspection! 100% FINANCING Not Based on Credit Score No Money Down SERVING ALL OF SOUTH FLORIDA! • TILE • METAL • SHINGLE • FLAT • YOUR RESIDENTIAL SPECIALISTS CALL US 24 Hrs. 561-202-2040 • Florida License #CCC1333947 • Fully Insured $100 Off $500 Off Any Repairs Any Re-Roof With this MLM Coupon. Expires 12/9/22 With this MLM Coupon. Expires 12/9/22 • Residential Specialist • Roof Replacements • Re-Roo ng • Storm Damage • Roof Inspections • Hail Damage Financial
42 VOL. 554 N Copyrighted© My Living Media. 2022 All Rights reserved. To Advertise call 772-247-6849 Need More Coupons - MyLivingMedia.com 10’x10’ Kitchen Cabinets & Granite $1,999** SendUsaPhotoofYourKitchenandwe’llsendyoua FREEInitial EstimateforGranite Countertops &Cabinets Sendto: info@kingofkitchen.com ORTEXTto Over 36,000 Sq. Ft. of Showroom & Warehouse NO 18 MONTHS ON PURCHASES OF IN-STOCK CABINETS & QUARTZ Certain restrictions apply. Cannot be combined with other offers. 561-291-9414 FREE 3-D Design Modern Kitchens Also Available Calacatta 3cm Installed $45 per Sq.Ft. INTEREST FOR & Granite Corp CALL TODAY FOR A FREE ESTIMATE 561-612-0214 1806 MADRID AVE. · LAKE WORTH, FL Open: Mon-Fri 9am-5:30pm; Sat 9am-2:30pm www.KingOfKitchen.com *measurement and sink not included.

Stretching Into the Holidays…

5,000 miles, like clockwork, you take your car to get its oil changed and tires rotated. It’s basic, routine maintenance, but that consistent attention and upkeep is vital for your vehicle to run e ciently, especially over a number of years. Your body, much like your vehicle, requires regular care and treatment to keep it healthy. And, again like your automobile, your body needs support from someone other than yourself, a professional who can guide it to achieving its utmost abilities and to retaining its peak performance.

Getting older, playing sports, or having a condition like sciatica or arthritis shouldn’t hold you back from living your life! You can feel like your younger self again, the one who didn’t feel any aches or pains when walking, running, jumping, or even sitting… all you have to do is visit Stretch Zone.

Drew Brees, former quarterback of the New Orleans Saints, is the newest partner at Stretch Zone who advocates for people to regularly get stretched. A er personally going to Stretch Zone for an assisted stretching session, Drew was impressed with the uniquely e ective and nationally accredited Stretch Zone Method®, which is administered by a highly-trained and Stretch Zone-certi ed stretch practitioner.

Here’s How It Works:

1.) Your rst session begins with lling out an intake form and having a consultation with your experienced and knowledgeable stretch practitioner. Based on your medical background and your personal goals, the stretch practitioner will personalize the ensuing 30-minute assisted stretching session to meet your individual needs.

On subsequent visits, you’ll simply do a check-in with the practitioner to update your medical pro le with any recent changes and/or any new pain or discomfort that you might be experiencing.

2.) e stretch practitioner initiates the rst steps of the approved Stretch Zone Method®, utilizing Stretch Zone’s special patented straps to encourage your body to relax and ease into the stretches. You won’t nd these straps anywhere else! Comparable to a thunder jacket for your pets, they are meant to calm your mind so that your entire body is perfectly loose, thus allowing the stretch practitioner to stretch your body to its full potential and, as a result, provide you with both preventative maintenance and pain relief.

3.) Assisted stretching (a/k/a passive stretching) is di erent from physical therapy in that your body is being stretched by someone else; thus, you’re not actually doing any work. roughout your 30-minute session, the stretch practitioner will be steadily interacting one-on-one with you, ensuring that you are completely comfortable and not experiencing any pain. Ultimately, you are in control of the stretch, even as your practitioner guides your body through each and every step, because you tell the practitioner when you feel your best stretching position. e more you communicate, the better results you’re going to get!

Take advantage of Stretch Zone’s incredible FREE 30 Minute Stretch Session! Anybody and everybody can and should be stretched.

In fact, one Stretch Practitioner I spoke with at Stretch Zone says, “98% of the people I see in front of me really need to be stretched. is is something you should not live without.”

Remember, it’s just like getting your oil changed! Plus, celebrities and professional athletes have been getting stretched for years, so it’s time for the general population to be clued into the secret!

Get your FREE 30 minute stretch for yourself or do it for a friend or loved one… what better way to say you care than to give the gi of making life easier, of feeling healthier, lighter, and younger, and of feeling like yourself again?

VOL. 554 N 43
My Living Media. 2022 All Rights reserved. To Advertise call 772-247-6849 Need More Coupons - MyLivingMedia.com
W Indiantown Road,
561-529-2272 In the Chasewood Plaza PGA EAST
US Hwy 1, Unit 145 Palm Beach Gardens, FL 33458 561-644-2970 In the Seminole Shoppes PGA WEST
PGA Blvd., #209, Unit 145 Palm Beach Gardens, FL 33410 561-619-6029 In the Mirasol Plaza
Copyrighted©
JUPITER 6390
Suite 4, Jupiter, FL 33458
11940
6271
Every
3 SESSIONS FOR $ 99 THE PERFECT GIFT foranyoneonyoulist, orevenforyourself. TAKE ADVANTAGE OF THIS ––––LIMITED TIME OFFER –––––––––––– WHILE IT LASTS! CONTACT STUDIO TO PURCHASE AND FOR ADDITIONAL DETAILS. *OFFER EXPIRES 12/31/22
44 VOL. 554 N Copyrighted© My Living Media. 2022 All Rights reserved. To Advertise call 772-247-6849 Need More Coupons - MyLivingMedia.com EMERGENCY SERVICE-ANY DAY, ANY HOUR Licensed & Insured CFC1427336 • Sinks • Toilets • Water Heaters • Leak Detection • Showers • Bathtubs $30 OFF ANY SERVICE 561.533.7070 PlumbRitePlumber.com Service Interruption? 24-Hour Plumbing Repair Fast | Reliable | Trusted | Guaranteed Sewer & Drain Cleaning All Clogged Lines Corrected With this MLM coupon. EXPERT FULL SERVICE JEWELRY REPAIR 75 E. INDIANTOWN RD #504 • JUPITER WE BUY GOLD 561.406.2074 20% OFF 20% OFF 50% OFF Any Watch or Jewelry Repair Watch Battery Estate Jewelry With this MLM coupon. Expires 11/30/22 With this MLM coupon. Expires 11/30/22 With this MLM coupon. Expires 11/30/22 561-312-1937 DUMPSTER RENTALS DONE RIGHT CALL THE DUMPSTER RENTAL EXPERTS Delivered in 24 hrs or Less www.bulkwastefl.com $50 OFF With this MLM Coupon Expires 11/30/22 ANY DUMPSTER RENTAL
VOL. 554 N 45Copyrighted© My Living Media. 2022 All Rights reserved. To Advertise call 772-247-6849 Need More Coupons - MyLivingMedia.com Call or Text Today 866-887-8225 Book Your Stress Free Portable Storage Solution For Your RENOVATION and MOVING Needs FAMLIY OWNED & OPERATED PUTTING OFF THAT REMODEL BECAUSE YOU DON’T KNOW WHERE TO PUT EVERYTHING? • Speak to One Person From Start to Finish - We Are Call Center Free! • Protect - Your belongings from Dust & Debris • Fully Waterproof With Dual Ventilation Air System. • Flexibility – Weekly & Monthly rental options with delivery in 24 hours or less. www. MYSTACKBOX .com FREELocal Initial Delivery

Howabout we talk about relationships that are just plain not good for us. You know the kind I’m talking about, the one where you fell head over heels for a guy (or gal) who was just too good to be true. I’ll use the gender male, but feel free to substitute female if that applies. Anyway, from the beginning, there was magic in the air, the conversation owed easily, he listened to your every word, his eyes looked deep into yours, into your very soul, and he couldn’t have been more complimentary. From the rst date, you oated on air, his words reverberating in your head all night, keeping you awake, but not tired, sitting down to meals, but not hungry. It seemed as if your entire body embraced his very essence, and all was right with the world.

Prepare yourself for what I am about to say, because it isn’t going to be pretty. Your knight in shining armor, the one who thought you hung the moon, suddenly seemed a little more distant. at was the red ag, but you weren’t paying attention, or you didn’t want to pay attention. e signs kept piling up. First, he stopped calling as o en, and when you called him, out of anxiety or desperation, he seemed less interested in what you had to say. Dates became more about him, about his needs, about his problems, and you, always the supportive problem solver, were all too happy to lend him an ear, to do anything, really, to get things back on track. You bought new out ts, joined a gym, tried a new hairstyle,

brought him his favorite bottle of wine, and by now, his mission was accomplished. He was astute at reading your signs, and he roped you in, as planned. is, for him, is where the fun begins.

You may have fallen for a narcissist, or an emotional abuser, or a fellow who shies away from intimacy, but suddenly, you’re putting in all the e ort, trying to regain the momentum of earlier days. You begin to doubt your own feelings, perhaps expecting too much, wondering where you’ve gone wrong, complimenting him instead of the other way around.

e next step for him is calculating, risky, but if it works, he’s got control. He begins to manipulate you, subtly, maybe questioning a decision you’ve made, inferring that your judgment isn’t what he hoped it would be, suggesting that your education, sophistication and socialization is a bit disappointing. is is where any self-respecting person would run and never look back, but even the most astute person begins to believe that perhaps there is something wrong with you, that maybe you’re lucky to have him, because the aws he’s pointing out in your character would be unattractive to anyone else. By now there are so many red ags they’re blinding, but your self-esteem is dropping quickly. Occasionally, he will drop a few compliments, or hint about the possibility of a future, just to hook you in, and it usually works, at least for awhile, until the relationship is exhausting, until you’re too afraid to be alone, considering how badly he

has made you feel about yourself.

If this sounds at all familiar, if you’ve ever been in a relationship like this, please know that regardless of how wonderful you might be to almost anyone else on the planet, you will never be wonderful to him, because he is hungry with power and control, because you have fallen for an emotional/verbal abuser.

For What It’s Worth there are terri c men and women out there who would be proud to be with you, and love you exactly the way you are, but unfortunately, there are a few power-hungry men who need to feel superior by putting you down. It is di cult to break this cycle, it is hard to believe that he can’t see your value, but that’s just it. He doesn’t want to. He’s not looking for love, or permanence, he’s searching to humiliate and own you. You can put up with this until it wears you out, and sucks the life out of you, or you can do something about it. e power was yours all along.

Copyrighted© My Living Media. 2022 All Rights reserved. To Advertise call 772-247-6849

46 VOL. 554 N
Need More Coupons - MyLivingMedia.com
For What It’s Worth
Comments or Suggestions DrMelfi@mediaoms.com AS SEENONTV www.advanced-re nishingllc.com UGLY TUB & TILE? • Bathrooms • Kitchens • Jacuzzis • Showers • Epoxy Floors 772-266-5115 CABINET REFINISHING TUB REFINISHING $100 OFF $20 OFF With this MLM coupon. Cannot be combined with any other offers or specials. Expires 12/7/22 With this MLM coupon. Cannot be combined with any other offers or specials. Expires 12/7/22 BEFORE AFTER Don’t Replace It… REGLAZE IT!
by Dr. Melfi, Ph.D.
YOU PAID YOUR INSURANCE… We bill the insurance company directly
Q: What is Mold?
A: Mold is a type of fungi that is naturally occurring in the environment. Q: How does in grow?
Q: How can
A:
Q: How do I get rid of mold? A: The air in all affected areas should be treated to kill & remove
70% 93% 21% 45 24-48 HRS Of Homes are estimated to have mold behind walls Of chronic sinus infections have been attributed to mold Of all asthma cases in the US are attributable to dampness and mold exposure Million buildings in the US have unhealthy levels of mold The amount of time it takes for mold to grow after a water loss LET IT COVER YOUR DAMAGES AQUA DOCS Water Restoration, Inc. 772-261-4181 WE DO IT ALL! WATER • MOLD • FIRE FREE Evaluation LIC# MRSR3440, MRSA3876
A: In order to grow, mold needs water, oxygen, and a food source, such as wood or drywall. Q: Where is it found? A: Mold grows in a place with a lot of moisture (leaks in roof, windows, pipes, etc.). Q: How fast can it grow and become a problem? A: Mold can easily grow within 24 to 48 hours. Q: Are there any health risks? A: Mold can cause nasual congestion, throat irritation, dif culty breathing, coughing, or wheezing.
I prevent mold growth?
Fighting mold starts by ghting moisture.
spores.
48 VOL. 554 N Copyrighted© My Living Media. 2022 All Rights reserved. To Advertise call 772-247-6849 Need More Coupons - MyLivingMedia.com Jupiter Sod & Landscaping FREE ESTIMATES FLORATAM • BAHIA • PALMETTO • BERMUDA Sod Removal & Installation 13049 W. Indiantown Rd. • Jupiter 1st Pallet 10% OFF With this MLM coupon. Expires 11/30/22 LANDSCAPE DESIGN ROCKS & MULCH PRODUCE HARDSCAPING Over 40 Years of Experience 561.768.1337 561.747.7856 Pressure Washing & Roof Cleaning • Screen Enclosure Frames • Driveways • Paver Sealing • Eco Friendly • Much More! www.pwpbg.com Workman’s Comp • Licensed & Insured *Our Guarantee - If your house doesn’t look 157% better than before, we will refund you 100% of your money. “We Clean Barrel Tile, Metal, Asphalt Shingle Roofs & Cedar Shake Roofs” GOT MOLD ON YOUR ROOF? CALL OLIVER TWIST TODAY! We Are Commercial Specialists! Call James for Specials! SENIOR DISCOUNTS! BEFORE AFTER OliverTwist 561-771-0310 Serving South Florida Since 1999 $50 OFF COMPLETE HOUSE WASH With this MLM coupon. May not be combined with other offers Expires 12/9/22 ALARM SYSTEMS Protecting People & Property Since 1984 FULLY INSTALLED & MONITORED ALARM SYSTEM • Alarm.com Dealer • FREE Home Survey • Security Cameras • Fire Alarms • Security Alarm Systems LIC# EF20000681 • LIC# FPC 13-000046 7728376567 FREE 1ST MONTH OF SERVICE WITH A MINIMUM OF 12 MONTHS WITH THIS AD • EXP. 11/30/22
VOL. 554 N 49Copyrighted© My Living Media. 2022 All Rights reserved. To Advertise call 772-247-6849 $1995 First Month UNLIMITED INSIDE & OUT WASHES SAVE $25 You get unlimited hand washes AND wheels, cleaned, sealer wax, tires shined, dash and jams wiped, vacuum, windows blown dry and hand nished, all Unlimited. Reg. $44.95. Credit Card Required. New customers only. Some large, raised and commercial vehicles excluded from club. Download our mobile app required to redeem offer. Cannot be combined with any other offersWith MLM coupon. Expires 11/30/22 561-WASH-ME-2 100% HAND WASH! Jupiter-6812 W. Indiantown Rd. (Next to McDonalds) Tequesta-1625 N Old Dixie Highway (Next to Pinder’s Seafood) Gardens-4109 Northlake Blvd. (BP at Northlake & I-95) WPB-2405 Okeechobee Blvd. (Formerly Top Hat Car Wash) Wellington-4213 S. State Road 7 (Lake Worth Rd & 441 in Chevron) Gardens-12194 Alternate A1A (1/4 Mile S. of Hood Rd., Next to Chevron) Gardens-9730 Alternate A1A (Formerly Starbrite Carwash @ Sunoco) SAVE (Reg $25/$29/$40) With MLM coupon. Cannot combine discounts. All Prices subject to size/condition of vehicle. Download our mobile app required to redeem offer. Expires 11/30/22 Download our App for great savings around town “Wash Club” www.UnlimitedAutoWashClub.com ★ Up to (96 Hour) Rain Guarantee ★ Monday is Men’s Day ★ Wednesday is Ladies’ Day ★ Thursday is Senior’s Day $3599 Express Hand Wax 30 Minute Service Price subject to change based on condition/size of vehicle. Includes Popular Wheel Deal Wash Package. Valid at all 7 locations. With MLM coupon. Cannot combine discounts. Download our mobile app required to redeem offer. Expires 11/30/22 (Reg $44.99) Our Top 3 Wash Packages $5 Complete Detail Inside & Out Price Subject to Change Based on Condition/Size of Vehicle. With MLM coupon. Valid at ALL 7 locations only. Not valid with other offers. Download our mobile app required to redeem offer. Expires 11/30/22 $11999 (Reg $149.99) LET US SANITIZE YOUR CAR!Mon-Sat 8:00AM-6:00PM Sun. 9:00AM-5:00PM
50 VOL. 554 N Copyrighted© My Living Media. 2022 All Rights reserved. To Advertise call 772-247-6849 Need More Coupons - MyLivingMedia.com Motorized Roll-Up Screens for Garages, Patios, or Lanais YOUR LOCAL SCREEN & AWNING DEALER. RATED #1 IN SERVICE 561-349-6788 FlaScreens.com Serving Port St Lucie to Boca Raton • Visit Our Showroom at: 2885 Jupiter Park Dr. • Suite 1900A • Jupiter, FL 33458 • Power Screens • Retractable Awnings • Nano Bugmesh • Solar Fabrics • FREE In-House Estimates ENTERTAIN OUTDOORS YEAR ROUND! Let The Fresh AIR IN, Keep the BUGS OUT. Lic.# U-20970 $25 Off First Time Service New Customers Only. Expires 11/30/22 Call Today 561-421-9297 www.tropicalhealthcareservices.com Quality Healthcare is Our First Priority PACKAGES STARTING AT 4 Hour Minimum · Accompany To Appointments · Laundry · Light Housekeeping · Meal Preparation · Medication Reminders · Shopping / Run Errands 4-HOUR PACKAGE 24/7 Services to assist you from as little as 4 hours a day or as often as you like. We accept Long Term Insurance and Private Pay RESIDENTIAL & COMMERCIAL • Shingles • Synthetic Shingles • Metal • Tile • Aluminum 1500 N Florida Mango Rd Suite 3 • WEST PALM BEACH (561) 264-6233 $500 Off $1000 Off Any Roof $10,000 or more. Any Roof $20,000 or more. Must present coupon when signing contract 11/30/22 Must present coupon when signing contract 11/30/22
VOL. 554 N 51Copyrighted© My Living Media. 2022 All Rights reserved. To Advertise call 772-247-6849 Need More Coupons - MyLivingMedia.com Private Tours Available Enjoy an island cruise “Jupiter Style” with a relaxing tour down the Intracoastal Waterway! Buy One Get One JupiterWaterTours.com BOOK NOW Call or Go Online to Book Your Tour. 50% OFF Use Code: JUPLIFE (561) 264-0020 Scan for more details! • Lawn Grass • Batting Cages • Bocce Courts • HOA Playgrounds • Putting Greens • Pet Grass • Pool Areas • Paver Strips 7715 SW Ellipse Way, Stuart 772.494-2481 We look forward to exceeding your expectations in everything we do! HOLIDAY SPECIAL! See Our Work 15% off Your Synthetic Turf Putting Green
52 VOL. 554 N Copyrighted© My Living Media. 2022 All Rights reserved. To Advertise call 772-247-6849 Need More Coupons - MyLivingMedia.com Fences • Gates • Railings • Wood • Chain Link • PVC • Aluminum ALLIED ALUMINUM & RAILING (Minimum of 100 ft) With this MLM coupon. Expires 11/30/22 $100 Off Keep What You Love Safe! Licensed & Insured License #U-17525 94-7491-FX MC1800195 CALL TODAY FOR YOUR FREE ESTIMATES! 561.232.2757 www.alliedaluminum.us Look No Further for the Experts in Pool Heating • Heat Pumps • Solar • Gas FAMILY OWNED AND OPERATED STATE LICENSES #CP-CO57115 • #CVC 56745 • NAT/LP 26278 HUGE DISCOUNTS FACTORY DIRECT! Heat Pumps • Solar • Gas Salt Chlorination Pool & Spa Automation Pool Pumps & Filters Pool Resurfacing Coping • Tile Renovate Your Existing Pool Today! tropicalpoolheating.com Your Pool Heating and Renovation Specialist FREE 11”x10” Mosaic With Swimming Pool Resurfacing Purchase With this MLM Coupon. Expires 11/30/22 FREE 5% Off Purchase Price Of Any Salt Chlorinator, Pool/Spa Automation, Pump, or Filter With this MLM Coupon. Expires 11/30/22 FREE Estimate! 561-745-1163 SAME-DAY ESTIMATES HEATING & RENOVATION A COLD POOL IS NO POOL
VOL. 554 N 53Copyrighted© My Living Media. 2022 All Rights reserved. To Advertise call 772-247-6849 Need More Coupons - MyLivingMedia.com ONE-STOP SOURCE for All Your Construction Needs • Windows & Doors Replacement • Exterior & Interior Painting • Home Additions • Flooring: Tile, Marble, & Wood • Wall Pictures, Windows Case, Base, Etc. Over 15 Years of Experience Licensed & Insured CBC#1261628 Upgrade Your Floor AND RECEIVE A FREE 5 1/4 WOOD BASE BOARD ANY JOB $25K OR MORE! Offer cannot be combined. • Expires 12/7/22Offer cannot be combined. • Expires 12/7/22 Call For FREE ESTIMATE contact@apexbuildercontractor.com www.apexbuildercontractor.com 772-232-7128 772-232-7114 $2,500 OFF WE SPECIALIZE IN HOME ADDITIONS New Homes & Commercial Kitchen Remodeling Windows & DoorsBathroom Remodeling
54 VOL. 554 N Copyrighted© My Living Media. 2022 All Rights reserved. To Advertise call 772-247-6849 Need More Coupons - MyLivingMedia.com Florida’s Largest Monthly Antiques Show SOUTH FLORIDA FAIRGROUNDS 9067 SOUTHERN BLVD. WEST PALM BEACH December 2nd, 3rd & 4th Free Parking - Great Food & Drinks - Inside & Outside Spaces Air Conditioned - Jewelry Repair - GIA Certi ed Appraisals Puchs2@yahoo.com • www.wpbaf.com Early Buyers Fri. 9 am to 12 pm $25 Ticket good for all 3 days. General Fri. 12 pm to 5 pm • Sat. 9 am to 5 pm Sun. 10 am to 4:30 pm • $8 Daily $ 1 00 OFF With this MLM coupon (One Per Person) 941-697-7475 132 NE Dixie Hwy., Stuart, FL 34994 Licensed & Insured State Certi ed License #CCC024411 Serving Martin & Palm Beach Counties for Over 30 Years! “You’ve tried the rest…now call the Best!” Re-Roof & Repair Specialists METAL ROOFS Starting At Starting At $17,500 TILE ROOFS (Minimum 3500 Sq Ft of Roof) $24,500 (Minimum 3500 Sq Ft of Roof) 772-692-9854 Re-roofs • Repairs • New Construction • Cement & Clay Tile Fiberglass Shingles • Wood Shakes • 5-V & Standing Seam Metal Built-up Modi ed Rubber • Residential & Commercial 25- to 50-Year Material Warranty Available 5- to 10-Year Labor Warranty Available Martin County’s Trusted Name Since 1980! Family Owned & Operated since 1983 24-HOUR SERVICE 4 Generations of Plumbing & Knowledge! TOLL FREE2647 President Barack Obama Hwy., Riviera Beach, FL 33404 561-625-9414 800-323-0263www.NorthCountyPlumbing.org • Licensed • Bonded CFC026530 Serving All of Palm Beach County for 38 Years Strong & Still Growing! PLUMBING PROBLEMS? We can handle any plumbing repair, from Big to Small! 10% $1099 $ 425 $ 99 OFF ANY SERVICE CALL Maximum ($100 Discount) With this MLM coupon. Cannot be combined with any other offer. Expires 12/09/22 INSTALLED WATER HEATER SPECIAL Electric Only. 50 - 40 - 30 - Tall or Med. No Hidden Costs Regular Price $1199 - Special Price $1099 - SAVE $100 With this MLM coupon. Cannot be combined with any other offer. Expires 12/09/22 TOILET REBUILD SPECIAL Includes Fill Valve & Flapper. Standard Toilets Only Regular Price $148 - Special Price $99 - SAVE $49 With this MLM coupon. Cannot be combined with any other offer. Expires 12/09/22 In Garage on Floor Only. +TAX NEW TOILET Supply & Install White Round or Elongated Toilet With Seat, Standard Height. Reg. Price $499, Special Price $425 SAVE $75. Additional Charges May Apply. With this MLM coupon. Cannot be combined with any other offer. Expires 12/09/22 Happy Thanksgiving
Flouring Inc. WWW.PSFLOORINGUSA.COM (561) 612-4039 5Google stars Reviews ••••• FAMILY OWNED & OPER ATED 2 Rooms •999.oo Up to 260 sq. ft With thisad.Cannotbecombined with any other offers. 3 Rooms •1499.oo Up to 400 sq. ft With thisad.Cann otbecombined with any other offers. Whole House •2799.oo ent er Round llatlon ht Furniture n y apply) extra 8mm0nly VISIT OUR SHOWROOM OR CALL FOR A FREE IN HOME ESTIMATE NOW OPEN IN JUPITER 501 N ALTERNATE AlA JUPITER 33477 LAKEWORI'H 2110 N DIXIE HWY LAKEWORTH 33460 ROYAL PALM BEACH 8060 BELVEDERE RD SUITE 1&2 WEST PALM BEACH 33411 JUPITER 501 N ALTERNATE A1A NOW OPEN IN JENSEN BEACH 1683 NE JENSEN BEACH BLVD JENSEN BEACH 34957 LAKEWORTH 2110 N DIXIE HWY LAKE WORTH 33460 ROYAL PALM BEACH 8060 BELVEDERE RD SUITE 1&2 WEST PALM BEACH 33411
56 VOL. 554 N Copyrighted© My Living Media. 2022 All Rights reserved. To Advertise call 772-247-6849 Need More Coupons - MyLivingMedia.com SENIOR SERVICES We Care Like Family! English - Spanish - Portuguese For All Your Non-Medical Services (561) 406-9808 • Companion • Transportation • Tech Help • House Sitting • Home Care • Errands www.TreeofLifeSeniorServices.com @TreeofLifeSeniorServices email: mommabsmonograms@gmail.com mommabsmonograms.com With this MLM Coupon • Exp. 11/15/22 *SOME RESTRICTIONS APPLY PERSONALIZED UNIQUE GIFTS! MONOGRAMS BABIES • PETS • HOME • HOLIDAYS • TEAM SPIRIT • BIRTHDAYS 561-556-8200 Spend $25 and get a FREE PERSONALIZED MONOGRAM BREAK FREE WITH DR. DEMARTA ∙ Treat incontinence ∙ Improve sexual wellness ∙ Non-invasive ∙ Stay fully clothed Enjoy the Ride 772-403-WELL | 218 SW Atlanta Ave., Stuart FL www.institutehealthwellness.com Comparable to 11,000 kegels in one treatment BLADDER LEAKS? INCONTINENCE? $50OFF Must present add for discount Expires 12/7/22(9255) ASK ABOUT OUR HOMETOWN HERO DISCOUNT 561.370.3624 16571 Rembrandt Rd., Loxahatchee OdumSod.com Now Hiring! CDL Driver Needed! SOD • ROCK • MULCH • SOIL • TREES • PLANTS
VOL. 554 N 57Copyrighted© My Living Media. 2022 All Rights reserved. To Advertise call 772-247-6849 Need More Coupons - MyLivingMedia.com CALL TODAY FOR A free estimate! DRIVEWAYS • WALKWAYS • PATIOS • POOL DECKS • RETAINING WALLS CUSTOM POOL REMODELS • NEW POOL CONSTRUCTION • CLEAN & SEAL PAVERS • REPAIRS MARTIN 772-419-5151 PALM BEACH 561-844-9370 apexpaversandpools.com LICENSED & INSURED: CPB #4701 • U-20589 • U-20796 • RP #4701 *WITH APPROVED CREDIT. OFFERS CANNOT BE COMBINED. Apex Pavers & Pools, Inc. 725 SE Monterey Rd., Stuart, FL 34994 COME VISIT OUR SHOWROOM! POOLS TRANSFORMING THE ORDINARY TO Extraordinary FINANCING AVAILABLE CONTACT US TODAY TO LEARN MORE* CALL TODAY FOR A free estimate! DRIVEWAYS • WALKWAYS • PATIOS • POOL DECKS • RETAINING WALLS CUSTOM POOL REMODELS • NEW POOL CONSTRUCTION • CLEAN & SEAL PAVERS • REPAIRS MARTIN 772 - 419-5151 PALM BEACH 561-844-9370 apexpaversandpools.com LICENSED & INSURED: CPB #4701 • U-20589 • U-20796 • RP-252555006 *WITH APPROVED CREDIT. OFFERS CANNOT BE COMBINED. Apex Pavers & Pools, Inc. 725 SE Monterey Road, Stuart, FL 34994 POOLS TRANSFORMING THE ORDINARY TO Extraordinary 12 MONTHS SAME AS CASH NO INTEREST, NO PAYMENTS FOR 12 MONTHS* COME VISIT OUR NEW SHOWROOM! DRIVEWAYS • WALKWAYS • PATIOS • POOL DECKS • RETAINING WALLS CUSTOM POOL REMODELS • NEW POOL CONSTRUCTION • CLEAN & SEAL PAVERS • REPAIRS LICENSED & INSURED: CPB #4701 • U-20796 • RP-252555006 • CPC 1458696
58 VOL. 554 N Copyrighted© My Living Media. 2022 All Rights reserved. To Advertise call 772-247-6849 ing and refacing services, your original cabinet boxes stay in place –saving you the time, cost, and mess of a complete remodel. We’ll have your kitchen looking brand new in no time! Give us a call to schedule your free, in-home estimate. Before Refacing CALL TOD AY 561. 861.3532 DIEGO HERNANDEZ Locally Owned and Operated Serving Jupiter, FL and the surrounding area. Hassle-Free Kitchen Updates Choose a new color and style for your kitchen with cabinet refacing. kitchentuneup.com1 DAY TUNE-UP • REFACING • REDOORING • CUSTOM CABINETS AND MORE! $500 OFF $75 OFF FREE Any New Roof $8000 & Up Any Roof Repair $750 & Up Estimates On Roofs & Repairs Expires 11/30/22 Expires 11/30/22 Expires 11/30/22 561-566-5601 www.myroofsystem.com WHERE QUALITY & SERVICE MAKES THE DIFFERENCE CALL FOR A FREE ROOF EVALUATION TODAY! From… PROTECT YOUR PROPERTY WITH EXPERT ROOFING • ROOF REPAIR • ROOF REPLACEMENT • ROOF LEAK DETECTION • NEW CONSTRUCTION
VOL. 554 N 59Copyrighted© My Living Media. 2022 All Rights reserved. To Advertise call 772-247-6849 561-468-7281 www.windowreplacementgroup.com SCC# 131152429 CBC# 1264555 Per Window Per Door $ 35 OFF $ 110 OFF Expires 11/30/22 Expires 11/30/22 IMPACT WINDOWS & DOORS The Group of Professionals You Can Trust! Energy Saving Enhance Homes Appearance & Value Hurricane & Burglary Protection Reduce Insurance Cost Sound Reduction 0%PLUS! SALES TAX!
4 VOL. 548 H/K Copyrighted© My Living Media. 2022 All Rights reserved. To Advertise call 772-247-6849 www.UnlimitedAutoWashClub.com Mon - Sat 8:00am Sun 9:00amcar wash
VOL. 548 H /K 5Copyrighted© My Living Media. 2022 All Rights reserved. To Advertise call 772-247-6849 Need More Coupons - MyLivingMedia.com 561-WASH-ME-2 OUR SERVICES www.UnlimitedAutoWashClub.com Unlimited Auto Wash is more than just a Club! Unlimited Auto Wash is a full service, 100% hand wash conveniently located at select gas stations and convenience stores. We currently have seven locations: Jupiter, Palm Beach Gardens, Tequesta, Wellington, and West Palm Beach. If you become a member of our club, then you can use your membership at any of our 5 locations... by the way, we absolutely welcome occasional customers too! 8:00am - 6:00pm 5:00pm 96-Hour Rain Guarantee Monday is Men’s Day Wednesday is Ladies’ Day Thursday is Seniors’ Day WASHING & DETAILING Join The Club Today Download Our App for Great Savings Around Town WASH CLUB UP TO
62 VOL. 554 N Copyrighted© My Living Media. 2022 All Rights reserved. To Advertise call 772-247-6849 *Additional charges may apply for heavily soiled areas Serving the Treasure Coast from Vero to Palm Beach 772-919-7163 • 561-250-0088 WWW.CarpetCleanerInFlorida.com 3 ROOMS $68 2 ROOMS $42 5 ROOMS $99 TILE & GROUT CLEANING 39¢ SQ. FT. 100 SQ. FT. MINIMUM FURNITURE CLEANING $60 SOFA OR LOVE SEAT OR 2 CHAIRS AREA RUGS $40 AND UP PREVENTS FIRES DRYER VENT CLEANING FREE DEODORIZER, SANITIZER, & DISINFECTANT $85FROM & SPEEDS DRYING TIME OFFER #MS11-1 CARPET CLEANING Licensed Ask about ...dries in half the time!
VOL. 554 N 63Copyrighted© My Living Media. 2022 All Rights reserved. To Advertise call 772-247-6849 Need More Coupons - MyLivingMedia.com THE WINDOW & DOOR SPECIALIST 772-288-6205 WWW.KAMRELL.COMKAMRELL When You Want It Hung Well...TRUST FAMILY OWNED & OPERATED SINCE 1999 8200 SW LOST RIVER ROAD STUART, FLORIDA 34997 Financing Options Available On Our Website LICENSED & INSURED CGC061180 THE DOOR SYSTEM YOU CAN BELIEVE IN THE DOOR OF BEAUTY AND INOVATION · HARDWOOD · VINYL · LAMINATE · ENGINEERED WOOD CALL NOW FOR FREE ESTIMATE STUART 772.600.4814 www.faceofwood.com SHOWROOM: 6408 SE Fed. Hwy., Stuart | Mon-Fri: 8am-5pm |Sat: By Appointment Only FLOORING INSTALLATION & REFINISHING * WE OFFER 1-YEAR WARRANTY ON INSTALLATION * INTEREST-FREE FINANCING 14 Years Serving South Florida! 10% OFF With this MLM coupon Expires 12/31/22 (Estimates that include both materials & installation) With this MLM coupon Expires 12/31/22 $150 per sqft per sqft LAMINATE Starting at With this MLM coupon Expires 12/31/22 $220 LUXURY VINYL PLANK Starting atLicensed & Insured
Residential CustomerPRSRT STD ECRWSS US POSTAGE PAID PERMIT #145 STUART, FL 2081 SE Ocean Blvd. • Suite 4 Stuart, Florida 34996 • 772-334-2121 www.GoalsWeightLoss.net GOALS WEIGHT LOSS Lose Weight QUICK! FREE 50% OFF CONSULTATION All Weight Loss ProgramsPlus Must present this MLM coupon for discount. Expires 12/7/22 Guaranteed Results • Eat Real Food • No Exercising Required! • Private Counseling •Medically Supervised •NO Hormone Supplements •Individual Plans 772-900-53572006 SE Federal Hwy., Stuart (1/2 mile North of Monterey Rd.) BEFORE AFTER LOST 95 POUNDS! Without Surgery LOST 60 POUNDS! Without Surgery BEFORE AFTER BEFORE AFTER LOST 40 POUNDS! Without Surgery

Turn static files into dynamic content formats.

Create a flipbook
Issuu converts static files into: digital portfolios, online yearbooks, online catalogs, digital photo albums and more. Sign up and create your flipbook.
N1-Jupiter Living Mailing Tony Penna, Indian Creek, and Golf Club of Jupiter Areas-Vol.554 by My Living Magazines - Issuu