I7-Lost Tree Living-Vol.563

Page 1

“I personally visit every completed job for final inspection!”
Owner See Pages 2, 20 and 21 Hurricane Season is less than 90 days away! Are you ready? Lost Tree Living MYLIVINGMEDIA.COM Index Page 9 VOL. 563-I7 Village Bootery Pgs. 4-5 First Impressions Pgs. 61-62 Puzzle Page Pg. 38
Peter Bulger,
2 VOL. 563 I Copyrighted© My Living Media. 2023 All Rights reserved. To Advertise call 772-247-6849 HURRICANE SEASON ISLESS THAN DAYS AWAY! 90 www.myhurricanewindow.com Don’t Get Caught Off Guard, Use Florida’s #1 Rated Hurricane Window 561-566-5629 772-932-5629 *FINANCING DISCLOSURE. $9 per month per window offer based on 24”x36” single hung or sale price of $1080. Prices will vary for larger sizes or different style windows. Contractor in neither a broker nor a lender. Financing is provided by third-party lenders unaf liated with contractor, under terms and conditions arranged directly between the customer and such lender, all subject to credit requirements and satisfactory completion of nance documents. Any nance terms advertised are estimates only. Free Quote! Call Today! Scan to schedule your APPOINTMENT! LICENSED & INSURED SCC131151738 Hurricane Season Begins June 1st! CALL NOW and order before March 31st to have your windows installed BEFORE peak hurricane season for as little as FINANCING AVAILABLE $9 PER MONTH PER WINDOW Some Restrictions Apply $9 per month per window
VOL. 563 I 3 Copyrighted© My Living Media. 2023 All Rights reserved. To Advertise call 772-247-6849 Need More Coupons - MyLivingMedia.com EGGPLANT PARMIGIANA STACK HOUSE SIGNATURE MEATBALLS MY WIFE’S FAVORITE SALAD PENNE POMODORO 12’ PAPERTHIN PIZZA GARLIC CHEESY PEPPERONI ROLLS (5) CHICKEN WINGS BRUSCHETTA ALLA ITALIANA SMALL PEPPERONI BREAD MEAT LASAGNA PENNE BOLOGNESE PENNE ALLA VODKA EGGPLANT PARMIGIANA CHICKEN PARMIGIANA CHICKEN FRANCESE 12” SAL’S FAVORITE PIZZA CRISPY CALAMARI LA CAPRESE SALAD (FOR 1) MUSSELS IN GARLIC OIL OR MARINARA ADD LINGUINE PASTA $4.99 BAKED ZITI SPAGHETTI W/ MEATBALL SMALL MEAT CALZONE 12” MARGERITA PIZZA $799 $999 $1399 $1199 YOU. ME. SAL’S, NOW! YOU. ME. SAL’S, NOW! HOUR Happy DON’T FORGET TO ORDER OUR FAMILY STYLE AND SAVE! EVERY DAY 50% OFF BEER & WINE 3PM-6PM 561-296-0800 Legacy Place Plaza • 11290 Legacy Ave., #100 Palm Beach Gardens www.SalsItalianRistorante HOUR FOOD Happy Join Us For
4 VOL. 563 H/K Copyrighted© My Living Media. 2022 All Rights reserved. To Advertise call 772-247-6849 Need More Coupons - MyLivingMedia.com SHOE STORES 245 U.S. Highway One • Tequesta 561.746.3536 2641 S.E. Ocean Blvd. • Stuart 772.283.3833
VOL. 563 H /K 5 Copyrighted© My Living Media. 2022 All Rights reserved. To Advertise call 772-247-6849 Need More Coupons - MyLivingMedia.com Your next Village Bootery purchase Expires 4/15/23. Discount not available on sales merchandise. $10 OFF CELEBRATING OVER 50 YEARS MARTIN & ST. LUCIE COUNTIES “Cloud” in Denim
6 VOL. 563 I Copyrighted© My Living Media. 2023 All Rights reserved. To Advertise call 772-247-6849 Need More Coupons - MyLivingMedia.com Call for a free in home design consultation and estimate Imagine your home, totally organized! Custom Closets, Garage Cabinets, Home Offices, Pantries, Laundries, Hobby Rooms and more... 40% Off Plus Free Installation Terms and Conditions: 40% off any order of $980 or more or 30% off any order of $680-$979 on any complete Custom Closet, Garage Cabinets, Home Office, Pantry, Laundry, Wall Bed, Wall Unit, Hobby Room or Garage Flooring system. Not valid with any other offer. Free installation with any complete unit order of $600 or more. Expires in 30 days. Call for a free in home design consultation and estimate (561)203-4745 www.closetsbydesign.com MSJ Follow us 2020 © All Rights Reserved. Closets by Design, Inc. Walk-In-Closets Laundry Rooms Home Offices Garage Cabinets Follow us www.closetsbydesign.com CGC1509325 & MC1900055 (561) 203-4920 MSG
The Salt, Sand, & Sea Classic & Timeless Furniture, Unique Coastal Lighting, Accessories, & Rugs Located in the YumYum Plaza 815 S. US Hwy. 1 Jupiter FL summerhousefurniture.com Mon.-Sat. 10am-6pm | Sun. 12:30pm-5pm HOME FURNISHINGS INSPIRED BY 561-781-3696
DIRECT MAIL High-quality printed post cards & inserts allow you to target specific zip codes every two weeks FREE digital, mobile, & social media marketing for every one of our direct mail clients Mailing Martin, St. Lucie, Indian River, Okeechobee, & Palm Beach Counties my LIVING MEDIA ON THE WEB We are Florida’s Premier Direct Mail & Multimedia Marketing Company FREE FRONT COVER including 2-Page Editorial FREE Buy 2 Zones, Get 1 Free CONNECT TO YOUR COMMUNITY… 772-247-6849 101UNIQUE COMMUNITY MAGAZINES BUY 2, GET 1
AUTOMOTIVE Ace of Carts ................................... 32 North Palm Hand Wash 15 Pelican Car Wash 28 Prime Golf Cars .............................. 26 Top Gear Auto USA 15 BEAUTY Great Clips PBG 10 CLEANING SERVICES Florida’s Finest Carpet Cleaning 47 Honor Carpet Cleaning ................... 62 Oliver Twist Pressure Washing........36 Stanley Steemer ............................ 10 The Groutsmith Grout Cleaning 34 DINING AND ENTERTAINMENT Brio Italian Grille 23 Chicago Hot Dogs 26 Gardens Pizza 25 Jersey MIke’s Subs 22 Lola’s Seafood ............................... 24 Mystic Lobster Co. 25 Pizza Bella 22 Plant Based Ma a .......................... 24 Sal’s Italian Ristorante 3 Uncle Joe’s Chinese ....................... 23 FITNESS AND SPORTS F45 Training ................................... 14 HOME IMPROVEMENT 1 Day Kitchen and Bath Transformations 48 Affordable and Superior Painting .... 30 Alliance Group Roo ng 16 Allied Aluminum and Railing 47 Alternate Power Solutions .............. 30 Apex Pavers and Pools 57 Bill sh Air Conditioning 53 Browns Milling-The Closet Clinic .... 49 Brilliant Roo ng 49 Budget Fence.................................18 Budget Gutters 50 Camco Custom Pools 18 Closets By Design 6 Code Red Roofers 63 Como Oil & Propane 56 Du-All Plumbing 43 East Coast Electric Screening 16 Eco View Windows 59 Fencing South Florida 58 First Impression Doors and More 13 G & S Painting & Fine Finishes 48 Gutters By TK 46 Jupiter Sod and Landscaping 44 Kamrell Windows and Doors 40 Level Best Roo ng 51 Marzo Roo ng Inc 30 Mavit Stone Services 58 Max Guard Hurricane Windows 2 Mike’s Aluminum Specialties, INC 52 North County Plumbing 41 One Way Quality Remodeling 50 OX Floor Coating 19 Painting Unlimited 36 Plantation Shutters Florida 55 Plumb Rite Plumbing 32 Precision Door Service 36 PS Flooring Inc. 37 Quality Air of America.....................17 Ramos Tree Service 54 Roo ng Systems of FL 55 Screen Builders 40 Seaglass Window...........................25 Superior Tile and Remodeling 14 Superior Tile and Remodeling 18 Tri-State Roo ng 46 Triple M Brick Pavers 42 Tropical Pools 44 We Rack Designs 56 Window Replacement Group 33 Windowz and More 45 INSURANCE AND BENEFITS Florida Health Group-Compass Health ......................................... 31 Stellar Public Adjusting .................. 34 JEWELRY M & J Jewelers .............................. 26 Oteri’s Wholesale Jewelry .............. 42 LANDSCAPE AND GARDEN IMA Landscaping ........................... 49 MEDICAL AND HEALTH Abacoa Podiatry 35 Angelo G Forte 41 Appearance Implant and Family Dentistry 27 Begin Anew Med 11 Dentistry By Design 28 Dr. Samuel Holcroft ........................ 39 Goals Weight Loss 54 MMJ Health 12 QualCare Nurse Registry 52 PROFESSIONAL SERVICES ASAP Dryer Vent Cleaning 32 Business Technology Solutions 52 Daniel Valencia Tree Service .......... 50 Decorator for a Day 44 Dryer Vent Cleaner, The 35 Mosquito Shield 50 Mr. Tint of America ......................... 46 RETAIL Kid to Kid 14 The Summer House ......................... 7 The Yankee Peddler Market 29 Village Bootery 48 TRANSPORTATION Travel by Solstice 50 Volume 563 March 2023 For advertising rates and information Email: sales@mediaoms.com Call 772-247-6849 © 2023 by My Living Media. All rights reserved. Although some parts of this publication may be reproduced and reprinted, we require that prior permission be obtained in writing. My Living Magazine is a free publication distributed locally and is supported by our advertisers. Please call to find a location near you or if you would like copies placed at your business. We do not necessarily endorse the views expressed in the articles and advertisements, nor are we responsible for the products, and services advertised. We are not responsible for licensing or certifying businesses, nor are we responsible for verification of these requirements. We welcome your ideas, articles and feedback. *Dining pictures shown are for illustration purposes only. Actual products may vary due to product enhancement.
MY LIVING CONTENTS - ZONE I
10 VOL. 563 I Copyrighted© My Living Media. 2023 All Rights reserved. To Advertise call 772-247-6849 Need More Coupons - MyLivingMedia.com FAMILY OWNED & OPERATED • SCHEDULE ONLINE TODAY AT: WWW.STANLEYSTEEMER.COM FIRE, WATER, & MOLD DAMAGE RESTORATION SERVICE Immediate Response 24-HOUR EMERGENCY Minimum charges apply. Cannot combined with other offers. Residential and Commercial. Must present this MLM Coupon at time of service. Valid at participating locations only. Certain restrictions may apply. Call for details. Lic. #CMC014066 561-404-5668 WWW.STANLEYSTEEMER.COM STANLEY STEEMER SERVICES ® FREE ESTIMATES FOR ALL COMMERCIAL BUSINESSES WE PRETREAT YOUR FLOORS AND MOVE YOUR FURNITURE AT NO CHARGE WE PRETREAT YOUR FLOORS AND MOVE YOUR FURNITURE AT NO CHARGE $99 $129 Expires 4/15/23 MLM Expires 4/15/23 MLM TILE & GROUT OR WOOD FLOOR CLEANING Only PER ROOM 3 ROOMS CARPET CLEANING Wool carpets extra. Area rugs not included in wall-towall cleaning. *Any Room Up to 300 sq. ft. Home & Of ce Air Puri er Removes Viruses, Bacteria, Mold, & Pollen MARBLE & STONE CLEANING $50 OFF Expires 4/15/23 With MLM Coupon Proud to be Endorsed by Cystic Fibrosis Foundation $160 Expires 4/15/23 MLM HOME Which Air Are You Breathing? AIR DUCT CLEANING Up To 8 Vents BEFORE AFTER OFFICE FREE ESTIMATES CALL TODAY COMMERCIAL & RESIDENTAL GOOD is a haircut you love. GREAT is a sweet price too. $ 999 OFFER EXPIRES: 10/31/22 ANY HAIRCUT Not valid with any other offers. Limit one coupon per customer. No copies. Taxes may apply. Valid at Frenchman’s Crossing, Donald Ross Village & Plaza at Lake Park. Masks may be required. LAKE PARK Plaza at Lake Park 1244 Northlake Blvd • 561-515-5410 PALM BEACH GARDENS Donald Ross Village 4650 Donald Ross Rd (Central Blvd & Donald Ross Rd) 561-624-7372 Frenchman’s Crossing 4073 Hood Rd (Next to Publix) • 561-768-7767 greatclips.com | jobs.greatclips.com | greatclipsfranchise.com 41309-001-Norman-Donald Ross Village-Frenchman's Crossing-Plaza at Lake Park-6.25 x 4.5325.indd 1 5/31/22 12:59 PM OFFER EXPIRES: 4/15/23
Need More Coupons - MyLivingMedia.com Our luxury medical spa in Jupiter is your destination for the latest wellness and aesthetics solutions. We pair proven anti-aging technologies with regenerative solutions. Your journey to optimal health, wellness and beauty begins here. Our Services: Botox & Filler Morpheus8 RF Microneedling Microneedling + PRP Body Contouring Acne Lasers Testosterone Therapy Nutrient IV's & Injections Sexual Performance Peptide Therapy Medical Weight Loss BeginAnew? Are you ready to $75 off any Dermal Filler Semaglutide Peptide Therapy $699 8 Week Program Monthly InBody Test Fat Burner Shot BeginAnewMed.com 337 E Indiantown Road Suite E-13 Jupiter, FL 33477 561-781-3578 IPL & Fraxel Tattoo & Vein Removal Bioidentical Hormone Therapy Pellet Therapy Specialized Testing Morpheus8 RF Microneedling for Face or Body Discover the most powerful skin tightening technology on the market. Botox JUST $10/unit (regularly $14) Dysport JUST $4/unit (regularly $8) SAVE $300 Offers expire 4/30/23
12 VOL. 563 I Copyrighted© My Living Media. 2023 All Rights reserved. To Advertise call 772-247-6849 MMJ Health Make the Appointment Use our patient qualification system to see if you qualify for medical marijuana. See the Marijuana Doctor See one of our qualified physicians at one of our many locations in Florida. Get Your Card You will be able to visit and get delivery from any dispensary in Florida. Let Dr. Morgan, The Highest Rated MMJ Doctor, at MMJ Health find your Alternative to Pharmaceuticals! Anne L. Morgan, M.D. When it comes to finding medical marijuana (MMJ) doctors, you can trust the helpful and professional staff at MMJ Health. Serving patients in Palm Beach, Martin, & St. Lucie Counties. Call MMJ Health to schedule an appointment with a Florida Medical Marijuana Doctor: WINNER OF BEST DISPENSARY, BEST MEDICAL MARIJUANA CARD PROVIDER, BEST CBD STORE, AND FINALIST FOR BEST PLACE TO WORK HOW IT WORKS Treasure Coast 772-212-4032 Palm Beach 561-631-7994
VOL. 563 I 13 Copyrighted© My Living Media. 2023 All Rights reserved. To Advertise call 772-247-6849 Need More Coupons - MyLivingMedia.com Make a GREAT First Impression with new Front Doors! New Solid Core Doors • New Door Hardware • New Hinges We are Palm Beach County’s Largest Specialty Door Store WE HAVE DOORS TO FIT ANY BUDGET! Transform your home by installing new custom interior doors without the mess and hassle of major construction. Choose from a wide variety of contemporary, traditional and transitional door styles. License # CBC037800 FINANCING AVAILABLE Impact Resistant Fiberglass & Mahogany Entry Doors • Impact Resistant Decorative Glass Inserts Interior Doors • Impact Resistant French & Siding Glass Doors • Impact Resistant Windows Call Today to schedule your FREE SHOWROOM appointment or schedule online www.FLORIDADOORS.COM BOCA RATON | 9858 Clint Moore Rd., Suite C-128 • Boca Raton, FL 33496 Tuesday - Friday • 9am - 5pm Saturday • 9am - 4pm • 561-621-5963 WEST PALM BEACH | 346 Pike Road, Suite 6, West Palm Beach, FL 33411 Monday - Friday • 7am - 4:30pm Saturday • 9am - 4pm • 561-220-3634 JUPITER | 75 E. Indiantown Road, Suite 507, FL 33477 Tuesday - Friday • 9am - 5pm Saturday • 9am - 4pm • 561-464-6102 15% OFF Installed Doors * Offer not valid on prior sale. Applies to installed exterior & interior doors only. Offer ends 4/ 30/2023
14 VOL. 563 I Copyrighted© My Living Media. 2023 All Rights reserved. To Advertise call 772-247-6849 Need More Coupons - MyLivingMedia.com IF YOU ARE WAITING FOR A SIGN THEN THIS IS IT! RESULTS DRIVEN. TEAM TRAINING. LIFE CHANGING. STRONG TOMMORROW. TEAM TRAINING. LIFE CHANGING. RESULTS DRIVEN. 5500 MILITARY TRAIL, JUPITER 561-400-0505 • FUNCTIONAL TRAINING • BUILDING A COMMUNITY • INDUSTRY-LEADING TECHNOLOGY f45training.com $7 for 7 Days With this MLM coupon. Must present coupon. F45 Jupiter 5500 Military Trail Jupiter Fl 33458 561-644-8110 (Located in the Publix Plaza) F45 Palm Beach Gardens – NOW OPEN 4773 PGA Blvd Palm Beach Gardens, FL 33458 561-400-0505 *New Clients Only Expires 4/13/23 JOIN TODAY BY TEXTING OR CALLING Mon-Sat 9am-7pm Sun 11am-6pm 3934 Northlake Blvd • PB Gardens 33403 561-739-4773 kidtokid.com CASH for Kids’ Stuff! ALL USED APPAREL TOYS AND SHOES With this MLM Coupon. Expires 4/01/23 New & Used 20% OFF UPERIOR TILE REMODELING, INC & www.superiortileinteriors.com Serving the Treasure Coast & Palm Beaches 4348 SE Federal Hwy., Stuart, FL 34997(Palm Square Plaza) | Bonded & Insured Lic# CTM5781 - PBC#U-21539- PSL-11013 772-678-3948 TILE • MARBLE • GRANITE • STONE • FABRICATION • INSTALLATION • REPAIRS KITCHEN BATHROOM FLOORING REMODELING FREE ESTIMATES WE ARE THE EXPERTS! COMMERCIAL & RESIDENTIAL Visit Our Showroom Monday-Fri:. 9am-5pm; Saturday: 10am-3pm; Sunday By Appointment Only
VOL. 563 I 15 Copyrighted© My Living Media. 2023 All Rights reserved. To Advertise call 772-247-6849 Need More Coupons - MyLivingMedia.com 100 US 1, North Lake, FL 33408 A/C SPECIAL $99.00 TUNE-UP SPECIAL STARTING AT $179.00 GET 20% DISCOUNT ON SELECT TIRES GET 4 OIL CHANGES AND THE 5TH WILL BE FREE! 561.904.6100 topgearauto100@gmail.com Monday-Saturday 8am-5pm Sunday 8am-4pm *SUVS and Oversized Vehicles an additional $6.99 MUST PRESENT MLM coupon. Cannot be combined with any other offers. Please bring coupon to redeem. Add to Any Package Honoring All First Responders & Seniors “Miami Shine by Hand” $24.99 10%off only Limited Time Offer Monday-Tuesday- Wednesday - ONLY! MONTHLY PACKAGE BIG SAVINGS! UNLIMITED! Diamond................................ $99.99 Platinum $79.99 Gold $49.99 Add $19.99 for SUV or Large Truck Includes a Platinum Wash “The Works” Full Detail ............ $299 Inside Detail .............................. $149 Headlight Restoration ................. $99 PERSONAL TOUCH DETAILING DiamondWash SAVE 40% OFF $39 99 or Nano Sealant By Hand $35.99 www.northpalmhandwash.com 561-249-7976 100 US 1 • North Palm Beach Located Next to Rocket Fuel Gas Station
16 VOL. 563 I Copyrighted© My Living Media. 2023 All Rights reserved. To Advertise call 772-247-6849 Need More Coupons - MyLivingMedia.com Motorized Roll-Up Screens for Garages, Patios, or Lanais YOUR LOCAL SCREEN & AWNING DEALER. RATED #1 IN SERVICE 561-349-6788 FlaScreens.com Serving Port St Lucie to Boca Raton • Visit Our Showroom at: 2885 Jupiter Park Dr. • Suite 1900A • Jupiter, FL 33458 • Power Screens • Retractable Awnings • Nano Bugmesh • Solar Fabrics • FREE In-House Estimates ENTERTAIN OUTDOORS YEAR ROUND! Let The Fresh AIR IN, Keep the BUGS OUT. Lic.# U-20970
CALL US FOR A FREE, NO OBLIGATION QUOTE Guaranteed Pricing for Customized Solutions Technicians are certified by the EPA Licensed, insured, and direct employees 100% Happiness Guarantee Mention Code “FBL23” FREE DUCT SANITAZATION with Air Duct Cleaning! 21-point HVAC inspection Complete AC report card - emailed after service Deep drain line flush Lubricate motors, clean unit housing Ductwork camera inspection A Homeowner’s Essential to Prevent Breakdowns During the Hottest Months! Avoid thousands in repair costs! ONLY $99 • • • Free Air Duct Sanitization is valid when purchased with Air Duct Cleaning and expires on 4/14/23. local@ lterbuy.com (c) 2023 Filterbuy, INC. All rights reserved Florida’s A/C & Duct Cleaning Experts 24 HOUR EMERGENCY HVAC SERVICE FREE SERVICE CALL WITH ANY REPAIR WHITE GLOVE A/C INSTALLATION Virtual or in person consultations Site visits by technicians, not salespeople No worry ownership - 5-year and 10-year Extended Labor Warranties Avoid future headaches - FREE UV lights, surge protectors and drain guards with every install FREE A/C ESTIMATES INTEREST-FREE FINANCING! Includes 2 years of our premium maintenance contract: • FREE air filters • FREE annual condenser coil cleaning • FREE annual replacement parts, surge protectors, and drain guards EXPERT HVAC TUNE-UP 772-208-8155
18 VOL. 563 I Copyrighted© My Living Media. 2023 All Rights reserved. To Advertise call 772-247-6849 Need More Coupons - MyLivingMedia.com • New ���������� • Ren��������i��n�� • Rem��������in�� • Rep�������� • Res��������ci���� Your Backyard Oasis Awaits… New Pool Construction 561-782-4644 Camco Pools New Construction & Renovations $1500 off With this MLM coupon. Expires 4/16/23 LIC #U-22038 LIC #MCFE6928 We’ll Beat Reasonable Estimates From Comparable Licensed Companies & Product Offerings Some Restrictions Apply AUTOMATIC GATE OPENER SPECIALIST 561-899-4574 www.budgetfenceandgate.com Since 1950 RESIDENTIAL COMMERCIAL Se Habla Español ASK ABOUT OUR Promotion for Eligible Projects. or Interest, Payments for Months Options! Down, Low Monthly Payments 0 0 0 24 UPERIOR TILE REMODELING, INC & www.superiortileinteriors.com Serving the Treasure Coast & Palm Beaches 4348 SE Federal Hwy., Stuart, FL 34997(Palm Square Plaza) | Bonded & Insured Lic# CTM5781 - PBC#U-21539- PSL-11013 772-678-3948 TILE • MARBLE • GRANITE • STONE • FABRICATION • INSTALLATION • REPAIRS KITCHEN BATHROOM FLOORING REMODELING FREE ESTIMATES WE ARE THE EXPERTS! COMMERCIAL & RESIDENTIAL Visit Our Showroom Monday-Fri:. 9am-5pm; Saturday: 10am-3pm; Sunday By Appointment Only
Copyrighted© My Living Media. 2023 All Rights reserved. To Advertise call 772-247-6849 Garages Patios Pool Decks Driveways & Much MORE! SCAN ME GET STARTED TODAY! Offer Valid for Same-Day Service Only FREE IN-HOME ESTIMATE 30% OFF WE TAKE THE BORING OUT OF YOUR FLOORING!TM 10X STRONGER BOND THAN EPOXY YOUR BEAUTIFUL NEW FLOORING IS JUST A CALL AWAY! 772-277-7562 • 561-277-0375 OXFLOORS.COM WITH THIS MLM COUPON. OFFER EXPIRES 4/15/23 PLUS
20 VOL. 563 I Copyrighted© My Living Media. 2023 All Rights reserved. To Advertise call 772-247-6849 www.myhurricanewindow.com Don’t Get Caught Off Guard, Use Florida’s #1 Rated Hurricane Window HURRICANE PROTECTION • HOME SECURITY • REDUCED INSURANCE COSTS • HURRICANE SEASON IS DAYS 90
VOL. 563 I 21 Copyrighted© My Living Media. 2023 All Rights reserved. To Advertise call 772-247-6849 561-566-5629 772-932-5629 *FINANCING DISCLOSURE. $9 per month per window offer based on 24”x36” single hung or sale price of $1080. Prices will vary for larger sizes or different style windows. Contractor in neither a broker nor a lender. Financing is provided by third-party lenders unaffiliated with contractor, under terms and conditions arranged directly between the customer and such lender, all subject to credit requirements and satisfactory completion of finance documents. Any finance terms advertised are estimates only. Free Quote! Call Today! Scan to schedule your APPOINTMENT! LICENSED & INSURED SCC131151738 Hurricane Season Begins June 1st! CALL NOW and order before March 31st to have your windows installed BEFORE peak hurricane season for as little as $9 per month per window FINANCING AVAILABLE $9PER MONTH PER WINDOW Some Restrictions Apply • ENERGY EFFICIENCY EFFICIENCY • SOUND REDUCTION LESS THAN AWAY! AWAY!
22 VOL. 563 I Copyrighted© My Living Media. 2023 All Rights reserved. To Advertise call 772-247-6849 Need More Coupons - MyLivingMedia.com 11604 US Highway 1 Palm Beach Gardens 561-360-3136 jerseymikes.com 1 S2.oooFF ANY SIZE SUB! • 1WM\l\iiMUMiiMiHWjjj,j: Expres5/31'2l. Valid at participatirg.lefl€\' Mike's Sobs. Ore coupon per iJ€M'l per visit per day. Not to be Clll11bired with other offers. No cash vall>'. Coupon redeemable in pers Difeo with promo codes may am be redeemed in our app. 23112 1111111111111111111111111111111111111111111111111111111 BUY 2 GIANT SUBS. GET A 3rd { GIANT FOR S2-'' •of equal or lesser value VALID ONLY AT 11604 US HIGHWAY 1 LOCATION VALID ONLY AT 11604 US HIGHWAY 1 LOCATION VALID ONLY AT 11604 US HIGHWAY 1 LOCATION Expires 4/01/23. Valid at participating Jersey Mike’s Subs. One coupon per person per visit per day. Not to be combined with other offers. No cash value. Coupon redeemable in person. Offers with promo codes may also be redeemed in our app. 2306 Expires 4/01/23. Valid at participating Jersey Mike’s Subs. One coupon per person per visit per day. Not to be combined with other offers. No cash value. Coupon redeemable in person. Offers with promo codes may also be redeemed in our app. 2312 Expires 4/01/23. Valid at participating Jersey Mike’s Subs. One coupon per person per visit per day. Not to be combined with other offers. No cash value. Coupon redeemable in person. Offers with promo codes may also be redeemed in our app. 23152 Spring is best enjoyed with 561-630-1400 Oak Tree Plaza 11575 U.S. Hwy 1• North Palm Beach Mon-Thurs 11am-9pm • Fri & Sat 11am-10pm • Sunday 4pm-9pm PIZZA | PASTA | SANDWICHES | CALZONE & STROMBOLI | SALADS HOT & COLD SUBS | CHICKEN WINGS | BURGERS | APPETIZERS | DESSERTS | AND MORE! $2199 Only one coupon per order. Not valid with any other coupon or specials. Expires 4/01/23 With One Topping, 6 Garlic Rolls, plus a 2-Liter Soda One Large Pizza $2499 Only one coupon per order. Not valid with any other coupon or specials. Expires 4/01/23 One Large Pizza With 10 wings Extremely Fast & Free Delivery WITHIN 5 MILES $2999 Only one coupon per order. Not valid with any other coupon or specials. Expires 4/01/23 With One Topping each Two Large Pizzas
VOL. 563 I 23 Copyrighted© My Living Media. 2023 All Rights reserved. To Advertise call 772-247-6849 Need More Coupons - MyLivingMedia.com ($15 min. Limited Delivery) Eat In Take-Out/Curbside Pick Up • Delivery Exotic Soups, Vegan Fare & Traditional Favorites! 4367 Northlake Blvd. Mon.-Thurs. 11am - 10pm Fri.- Sun. 11am- 11pm From our fresh seafood, grilled steaks and house-made pastas, our dishes are sure to satisfy. See for yourself and join us for lunch or dinner today! The Gardens Mall / 3101 / PGA Boulevard / Palm Beach Gardens 561.622.0491 THE PERFECT DINNER FROM ROMANTIC ITALY Call Today To Make A Reservation! To Go/Curbside/Delivery Available The Perfect Start to Any Meal FREE APPETIZER! Enjoy One FREE Appetizer with the Purchase of Two Entrees* Must purchase two entrees at full price to receive free appetizer. Dine in only. May not be combined with any other offers or discounts. Present coupon to redeem offer. Dine In Only! Expires 4/1/23 Sun -Thurs: 11am - 9 pm Fri -Sat: 11 am -10 pm www.brioitalian.com JOIN US FOR OUR FAMOUS HAPPY HOUR MONFRI 3PM  6PM
24 VOL. 563 I Copyrighted© My Living Media. 2023 All Rights reserved. To Advertise call 772-247-6849 Need More Coupons - MyLivingMedia.com O dining r m is en and we have td r seating. C e J n Us! STUART 300 SW Federal Hwy. Stuart, FL 34994 772-219-3340 PALM BEACH GARDENS 4595 Northlake Blvd. Palm Beach Gardens, FL 33410 561-622-2259 SAINT LUCIE WEST 962 St. Lucie West Blvd. Port St. Lucie, FL 34986 772-871-5533 TEQUESTA 181 N Hwy. 1 Tequesta, FL 33469 561-406-5000 Fish Tacos Ipswich Steamers www.lolasseafood.com OPEN 7 DAYS A WEEK! Lobster Roll “The best restaurant I’ve ever been to, the food is amazing.” –Nina Charles ENTIRE MENU • Award-Winning Sweet-Heat Marinara • 1.5 Years in Business • Close to 700 reviews and 99% of them are ★★★★★ • Owners are (2) Italians and (1) Irishman from New York www.plantbasedma a.com 561-783-5131 7100 Fairway Drive, Suite 52 Palm Beach Gardens Sun - Thurs 11am to 9pm Fri - Sat 11am to 10pm Sat - Sun - Bangin Brunch 11am to 3pm Must present this coupon to your server. Not valid on tax or gratuity. Cannot be combined with other offers. One coupon per table per visit. Expires 4/01/23. 15%OFF
VOL. 563 I 25 Copyrighted© My Living Media. 2023 All Rights reserved. To Advertise call 772-247-6849 Need More Coupons - MyLivingMedia.com –– JUNO BEACH ––TAKE OUT • DELIVERY • PARTY TRAYS Lobster Rolls ~ Specialty Rolls ~ Tacos & Sliders Sides ~ Desserts ~ Kids Menu 14151 US Hwy 1 561-660-8489 $5OFF $30 OR MORE Expires 4/15/23 Seaglass Window Fashions American Made 561-932-3712 PBG, Jupiter, Palm City, Stuart, Port St. Lucie Plantation Shutters White Poly Vinyl SOLAR SHADES Manual or Motorized available • Zebra Shades • Woven Wood Shades • Honeycomb Shades • Sheer Shades • Wood Plantation Shutters White & Stained SLICES AVAILABLE ALL DAY! 561-335-3058 Let Us Cater Your Next Special Occasion! (In the Promenade Plaza next to Publix) 9910 Alt A1A #701 • Palm Beach Gardens $4195 The BEST New York Style Pizza, Pasta, Strombolis, Calzones, Paninis, Wraps, Salads, Entrées, Hot and Cold Subs, Wings $5 $1095 $2795 $2995 OFF $30 OR MORE MONDAY CARRY OUT SPECIAL 1 LARGE PIZZA WITH (1) REGULAR TOPPING & 10 WINGS 2 LARGE PIZZAS (1) TOPPING & (1) 2 LITER SODA 1 LARGE CHEESE PIZZA Cannot be combined with other offers or specials. Not valid on Take out or Delivery. Expires 4/1/23 Cannot be combined with other offers or specials. Expires 4/1/23 Cannot be combined with other offers or specials. Expires 4/1/23 Cannot be combined with other offers or specials. Expires 4/1/23 Cannot be combined with other offers or specials. Expires 4/1/23 SPORTS SPECIAL 2 LARGE, 1 TOPPING PIZZAS with 10 Wings & (1) 2 Liter Soda Gardens Pizza & Pasta
26 VOL. 563 I Copyrighted© My Living Media. 2023 All Rights reserved. To Advertise call 772-247-6849 Need More Coupons - MyLivingMedia.com 3960 Northlake Blvd. • Palm Beach Gardens (Located in the Home Depot Plaza on Northlake Blvd near I-95) HOURS: Monday CLOSED Tuesday-Sunday 11am-6pm 561-469-9505 CURBSIDE & PICKUP AVAILABLE HOT DOGSChicago HELP WANTED Apply Within 100% ALL BEEF Fax us over your order 561-619-2900 FREE BUY 1 HOT DOG WITH FRIES (MUST PURCHASE LARGE DRINK) GET 2nd HOT DOG Cannot combine with any other offer. Expires 4/01/23 *Must present at time of purchase. Prices Subject to change. No Substitutions FAMILY/GROUP SPECIAL 2 Italian beef sandwiches, 3 regular hot dogs, 3 large fries, 4 regular drinks.$3695 Reg. $40.25 Cannot combine with any other offer. Expires 4/01/23 COME EAT WITH US OR TAKE IT TO GO! *Must present at time of purchase. Prices Subject to change. No Substitutions EXPERT FULL SERVICE JEWELRY REPAIR JEWELRY 75 E. INDIANTOWN RD #504 • JUPITER WE BUY GOLD 561.406.2074 20% OFF 50% OFF 50% OFF Any Watch or Jewelry Repair Watch Battery New Diamond & Gemstone Jewelry *Exclusions may apply With this MLM coupon. Expires 4/1/23 With this MLM coupon. Expires 4/1/23 With this MLM coupon. Expires 4/1/23 PRIMEGOLFCARS.COM SALES • RENTALS • REPAIRS HUNDREDS OF ELECTRIC LITHIUM & GAS GOLF CARTS AVAILABLE • New & Used Carts • Lithium Battery • Rims, Tires, & Lift Kits • 2, 4, 6, & 8 Passenger Seat Carts • American EV Golf Carts • Bintelli Golf Carts • E-Z-GO Golf Carts • Evolution Golf Carts • Elite EV Golf Carts • Club Car Golf Carts • Kodiak Golf Carts • Yamaha Golf Carts • Roadster Golf Carts 561-601-5671 7100 N MILITARY TRL., FL• RIVIERA BEACH VISIT OUR OTHER LOCATIONS IN LANTANA, FT. LAUDERDALE & MIAMI SCAN TO SEE OUR INVENTORY FINANCING AVAILABLE Vero Beach 1669 Old Dixie Hwy 32960

Dr. Gaeta is a Board Certified Implant Dentist with over 35 years of experience. Dr. Gaeta is a General Dentist and is a Diplomate of The American Board of Oral Implantology/Implant Dentistry (ABOI/ID), a Fellow at Misch Implant Institute and an Associate Fellow at the American Academy of Implant Dentistry (AAID).

Diplomates are AAID members who have become Diplomates of the American Board of Oral Implantology/Implant Dentistry (ABOI/ID). The ABOI/ID is a certification agency that serves independently to protect members of the public who seek dental implant care. This designation signifies that these dentists have met the highest criterions in oral implantology; that they have met educational and experiential standards, have reached an in-depth level of knowledge and acquired a proficient level of skill and ability.

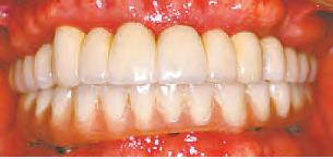
VOL. 563 I 27 Copyrighted© My Living Media. 2023 All Rights reserved. To Advertise call 772-247-6849 Need More Coupons - MyLivingMedia.com OPEN FOR EMERGENCIES | AFFORDABLE DENTAL EXCELLENCE IS NOW HERE! WE ARE PRIVATELY OWNED, NOT A CHAIN OR CORPORATE ENTITY. WE SPECIALIZE IN FULL MOUTH RECONSTRUCTION Additional services we offer include CLEAR TOOTH ALIGNERS, SINGLE IMPLANTS, DENTURES & MORE!!! FREE IMPLANT CONSULTATION (Exam & Digital X-Ray or 3D Cone Beam) (D0150, D9310, D0330 & D0383) SureSmile® OR CLEAR TEETH ALIGNERS OUR EXPERIENCED DENTISTS HAVE PLACED THOUSANDS OF IMPLANTS You Des ve a Beautiful Smile! SALVATORE MELITA, DDS ALANA SHIELDS, BSN, RN, DMD JOSEPH GAETA JR., DDS Better On 8™ Cleaning Porcelain Fused to Metal Crown Zirconium All Porcelain Crown $79 $699 $899 Includes Free Exam & X-Rays New Patients Only LIMITED OFFER (D1110, D0150, D4355,D0330) (D2751) (D2740) FULL ROUND HOUSE BRIDGE A Better Alternative to All-On-4 Benefits • Very little, if any speech changes • Does not cover any part of the palate • Can be cleaned just like bridges on teeth • Require no special abutments (All-on-4 protocol requires angle correct on abutments which are not bone or gum tissue friendly) • Usually do not need pink porcelain at the gumline (because aggressive bone removal is not necessary) D6010, D6056, D6240, D6060 BETTERON8.COM D6010, D6056, D5863, D5865, D5862 PER ARCH WITH LOCATORS PER ARCH D6010, D6056, D6065, D6060 50% SAVINGS WE USE MEGAGEN IMPLANT SYSTEMS Implant, Abutment, and Zirconium Crown Implant, Abutment, and Crown Only$1,899 Only$2,099 D7140 DENTURES ECONOMY $359 INTERMEDIATE $999 DELUXE $2,000 D5810/D5811 D5130/D5140 D5110/D5120 With Simple Extractions Starting at $99 We will beat any like-priced quote $9,999 Implant and Abutments Placed Crown and Bridge Porcelain Fused to Metal Implant Abutments Placed $14,500 FULL MOUTH RECONSTRUCTION ROUND HOUSE BRIDGE 8/6 IMPLANTS & 12 UNITS OF CROWNS starting at starting at WE WILL MEET OR BEAT ANY WRITTEN ESTIMATE ON IMPLANTS, ROOT CANALS, & CROWNS! WALK-INS WELCOME EVENING APPOINTMENTS AVAILABLE PRICES ARE SUBJECT TO CHANGE WITHOUT NOTICE WITH THE EXCEPTION OF PREVIOUSLY SCHEDULED TREATMENT PLANS. THE PATIENT AND ANY OTHER PERSON RESPONSIBLE FOR PAYMENT HAS THE RIGHT TO REFUSE TO PAY, CANCEL PAYMENT OR BE REIMBURSED FOR ANY SERVICE EXAMINATION OR TREATMENT WHICH IS PERFORMED AS A RESULT OF AND WITHIN 72 HOURS OF RESPONDING TO THE ADVERTISEMENT FOR THE FREE, SERVICE, EXAMINATION OR TREATMENT. LIC #DN10761 561-250-6307
W. Indiantown Rd., #32 • Jupiter, FL 33458
the West End of the Chasewood Plaza AppearanceImplants.com SCAN HERE OPEN MON.-FRI. EVENING HOURS AVAILABLE
6390
At
28 VOL. 563 I Copyrighted© My Living Media. 2023 All Rights reserved. To Advertise call 772-247-6849 Need More Coupons - MyLivingMedia.com Cosmetic & Family Dentistry NEW YEAR NEW BENEFITS • Emergency Care • Walk Ins Welcome ACCEPTING NEW PATIENTS • Family Dentistry • Cosmetic Dentistry PORT ST. LUCIE Hablamos Español JUPITER Dentistry By Design 3889 Military Trail, Ste.102 Jupiter, FL 33458 www.dbdfl.com Tel: 561-861-2611 GREENACRES Most Dental Insurance Plans Accepted Buy a PLATINUM YACHT WASH and RECEIVE a PLATINUM YACHT WASH for Free ($35 Value) Now starting at Now starting at 2ND CAR AT NO CHARGE FOR FIRST 3 MONTHS Also receive 1 month of our SILVER UNLIMITED WASH PLAN at NO CHARGE 11370 US-1 NORTH PALM BEACH 5616009281 Come Visit Our Newly Remodeled Store & Indoor Customer Waiting Area AC, TV, ATM, Cold Beverages & Snacks WE ALSO SPECIALIZE The New Pelican Car Wash $3685 $125 FREE NEW OWNERS! NEW EQUIPMENT /pelican_car_wash /PelicanAutoWash ALL Prices Subject to change. Prices Will Vary Due to Size & Condition of Your Vehicle PLATINUM YACHT WASH MEMBERSHIP SPECIAL UNLIMITED MEMBERSHIPS COMPLETE DETAIL SPECIAL Expires 4/14/23. Pelican Car Wash. Expires 4/14/23. Pelican Car Wash. Expires 4/14/23. Pelican Car Wash. Men’s Day Every Tuesday Women’s Day Every Wednesday Prices Will Vary Due to Size & Condition of Your Vehicle & Up Reg. Starting at $150
ANY PURCHASE OF $35 OR MORE ANY PURCHASE OF $70 OR MORE With this MLM coupon. Expires 4/14/23 With this MLM coupon. Expires 4/14/23 FRESH DAILY LOCAL $5 OFF $10 OFF 12174 US-1 · NORTH PALM BEACH 561-556-6022 Now Selling Beer & Wine! MON-FRI 8AM-6PM · SAT 8AM-5PM · SUN 10AM-3PM
30 VOL. 563 I Copyrighted© My Living Media. 2023 All Rights reserved. To Advertise call 772-247-6849 Need More Coupons - MyLivingMedia.com RESIDENTIAL & COMMERCIAL • Shingles • Synthetic Shingles • Metal • Tile • Aluminum 1500 N Florida Mango Rd Suite 3 • WEST PALM BEACH (561) 264-6233 $500 Off $1000 Off Any Roof $10,000 or more. Any Roof $20,000 or more. Must present coupon when signing contract 4/14/23 Must present coupon when signing contract 4/14/23 not be co Affordable Painting AFFORDABLE & SUPERIOR PAINTING affordableandsuperiorpainting@gmail.com 772-227-1398 20% 10% OFF OFF EXTERIOR PAINTING OVER $1595 One Per Customer. Must present this MLM coupon Cannot be combined with other offers. Expires 4/17/23 One Per Customer. Must present this MLM coupon Cannot be combined with other offers. Expires 4/17/23 INTERIOR PAINTING STARTING @ $2995 SPRING SPECIALS •INTERIOR PAINTING •EXTERIOR PAINTING •FENCE PAINTING •DECK STAINING •DRIVEWAY STAINING •CABINET PAINTING FREE DRIVEWAY POWERWASH W/EXTERIOR PAINTING FREE ESTIMATES & FINANCING AVAILABLE SCAN HERE TO VIEW OUR GALLERY myaffordableandsuperiorpainting.com Elec. Lic # EC13002031 Gas: 24513 CALL TODAY FOR YOUR FREE IN HOME ESTIMATE 561-202-3535 www.PowerRestored.com *Must Have Promo Present At Time of Signing* DON’T WAIT UNTIL HOME STANDBY HURRICANE SEASON! GENERATORS Supplies are Very Limited! Reserve Your Generator Today! • Turnkey Installations! • Electric and Gas Contractors! • Fully Licensed and Insured! • Factory Authorized Technicians! • Service and Mainteance! • Celebrating 35 Years in Business! $1,000 Up To OFF! Limited Time Offer! Valid Through 05/2023
VOL. 563 I 31 Copyrighted© My Living Media. 2023 All Rights reserved. To Advertise call 772-247-6849 Need More Coupons - MyLivingMedia.com Visit us at our LOCAL Retail Locations West Palm Beach Palm Beach Gardens • Tequesta Hobe Sound • Port St. Lucie Fort Pierce • Vero Beach Call Today for Coverage TOMORROW 561-468-3735 compasshealthinsurance.com info@compasshealthinsurance.com FLORIDIANS HELPING FLORIDIANS SINCE 2007 • HEALTH & MEDICARE We can and will enroll you $0 premium plans available • PREPAID CREMATION Chosen by over 70% of Floridians - $35/mo • INCOME PROTECTION Small businesses make up 99% of all businesses in FL. What would happen to your business if you got sick? • DENTAL INSURANCE Everyone needs and uses it for only $1 a day Compass Health Your Plan. Your Choice. We are Here All Year ‘round in 2023! Is Your Family Safe & Sound?
32 VOL. 563 I Copyrighted© My Living Media. 2023 All Rights reserved. To Advertise call 772-247-6849 Need More Coupons - MyLivingMedia.com EMERGENCY SERVICE-ANY DAY, ANY HOUR Licensed & Insured CFC1427336 • Sinks • Toilets • Water Heaters • Leak Detection • Showers • Bathtubs $30 OFF ANY SERVICE 561.533.7070 PlumbRitePlumber.net Service Interruption? 24-Hour Plumbing Repair Fast | Reliable | Trusted | Guaranteed Sewer & Drain Cleaning All Clogged Lines Corrected With this MLM coupon. 1-833-ACE-CART(223-2278) Aceofcarts.com Ace of Carts 4880 SE Federal Hwy., Stuart • 2nd Location 552 US Hwy. 1 North, Tequesta Over 200 Brand New Club Cars in Stock ! • SALES • SERVICE • PARTS Now Open in Tequesta! AUTHORIZED DEALER BIGGEST SAVINGS OF THE YEAR! Must be a 2022 Model Year Club Car from dealer stock. Offer expires 4/15/23 or while supplies last. Financing is available with standard rates. Not eligible for 0% Financing promotion; offers do not combine. $1000 OFF *MSRP on any Club Car from Dealer Stock 561.331.LINT (5468) thelintmandryerventcleaning.com ✔ Dryer Vent Cleaning ✔ Dryer and Washer Installation ✔ Residential Services ✔ Commercial Services ✔ Rodent Guard Installation DRYER VENT CLEANING WHEN WAS YOUR DRYER VENT LAST CLEANED? • Speeds Up Drying Time • Reduces Fire Risk • Lowers Utility Costs (more ef cient) • Don’t Wait Until It’s Too Late With over 15,000 dryer res happening each year, IT MAKES SENSE! Any Dryer Vent Cleaning Service Licensed & Insured Neighbors Discount Special *Washer & Dryer Repair Service *Some restrictions may apply. With this MLM coupon. Must present coupon at time of service. Expires 4/1/23 $30Off
VOL. 563 I 33 Copyrighted© My Living Media. 2023 All Rights reserved. To Advertise call 772-247-6849 561-468-7281 www.windowreplacementgroup.com SCC# 131152429 CBC# 1264555 IMPACT WINDOWS & DOORS The Group of Professionals You Can Trust! Energy Saving Enhance Home’s Appearance & Value Hurricane & Burglary Protection Reduce Insurance Cost Sound Reduction TM *Offers cannot be combined. Exp. 4/1/23 *Offers cannot be combined. Exp. 4/1/23 FREE SPECIAL ENTRY DOOR *WITH PURCHASE OF FULL HOUSE INSTALL ASK ABOUT OUR PRICING FOR IMPACT WINDOWS, PATIO & ENTRY DOORS TM TM
34 VOL. 563 I Copyrighted© My Living Media. 2023 All Rights reserved. To Advertise call 772-247-6849 Need More Coupons - MyLivingMedia.com Make Your Shower & Floors Look New Again! • Tile & Grout Cleaning • Grout Restoration • Tile & Grout Repair • Loose & Hollow Tile Rebonding • Shower Repairs & Regrouting • Non-Slip Tile Treatment Call today for a FREE Estimate • 772-224-3011 or 1-800-561-3736 • www.GroutsmithStuart.com SEE THE DIFFERENCE WE CAN MAKE IN THE LOOK OF YOUR HOME! Your Grout & Tile Cleaning Experts $30OFF ANY JOB OF $300 OR MORE $50OFF ANY JOB OF $500 OR MORE With this MLM coupon only. Cannot be combined with any other offers or specials. Expires 4/14/23 No More Dirty Grout! Before Before After After With this MLM coupon only. Cannot be combined with any other offers or specials. Expires 4/14/23 Guaranteed for 10 Years! THE GROUTSMITH
VOL. 563 I 35 Copyrighted© My Living Media. 2023 All Rights reserved. To Advertise call 772-247-6849 Need More Coupons - MyLivingMedia.com 561.468.8230 THE PATIENT AND ANY OTHER PERSON RESPONSIBLE FOR PAYMENT HAS A RIGHT TO REFUSE TO PAY, CANCEL PAYMENT, OR BE REIMBURSED FOR PAYMENT FOR ANY OTHER SERVICE, EXAMINATION, OR TREATMENT THAT IS PERFORMED AS A RESULT OF AND WITHIN 72 HOURS OF RESPONDING TO THE ADVERTISEMENT FOR THE FREE, DISCOUNTED FEE, OR REDUCED FEE SERVICE, EXAMINATION, OR TREATMENT. SCAN FOR WEBSITE & SERVICES We accept most major insurance plans & Medicare 4601 Military Trail #202, Jupiter HOURS MONDAY-FRIDAY 8:30AM-5:00PM FOOT, ANKLE, OR VEIN ISSUES? WE CAN HELP! Rel … DR. ORLANDO CEDENO DPM Podiatrist Foot & Ankle Surgeon Located in Jupiter, FL $100 OFF SCLERO VEIN THERAPY With this MLM coupon. Expires 4/1/23 • Foot Ankle Surgery • Bunion Surgery • Cysts & Warts • Fractures & Breaks • Ankle Arthritis • Diabetic Foot Conditions • Minimally Invasive Foot Surgery • Hammer Toe • Ingrown Toe Nails • Varicose Veins Treatment • Neuropathy Solutions • Wound Care • Nerve Decompression in Foot BEFORE AFTER Bunionectomy® & Hammer Digit Minimal Pain…Minimal Incisions…Impressive Results
36 VOL. 563 I Copyrighted© My Living Media. 2023 All Rights reserved. To Advertise call 772-247-6849 Need More Coupons - MyLivingMedia.com Interior & Exterior Painting home improvement services 42 YEARS SERVICING PALM BEACH COUNTY 561-302-5519 FAMILY OWNED & OPERATED REENSPAINTINGUNLIMITED@GMAIL.COM RESIDENTIAL COMMERCIAL INDUSTRIAL Licensed & Insured · Interior Painting · Exterior Painting · Pressure Cleaning · Popcorn Removal · Knock Down · Wallpaper Removal · Concrete Staining · Epoxy Flooring · Paint-Stains · Latex - Oil • Kitchen & Bathroom • Door & Moulding Installations • Water Damage Remodel • Outdoor Kitchens • Paver Sealing • Tile & Wood Installations • Handyman Services $150 OFF ANY JOB OVER $1500 Some restrictions apply. Expires 4/17/23 FREE ESTIMATES! Pressure Washing & Roof Cleaning • Screen Enclosure Frames • Driveways • Paver Sealing • Eco Friendly • Much More! www.pwpbg.com Workman’s Comp • Licensed & Insured Our Guarantee - If your house doesn’t look 157% better than before, we will refund you 100% of your money. “We Clean Barrel Tile, Metal, Asphalt Shingle Roofs & Cedar Shake Roofs” GOT MOLD ON YOUR ROOF? CALL OLIVER TWIST TODAY! We Are Commercial Specialists! Call James for Specials! BEFORE AFTER OliverTwist 561-771-0310 Serving South Florida Since 1999 SENIOR DISCOUNTS CALL FOR DETAILS Live 24/7 Answering PDSMartin.com Locally Owned & Operated Our proprietary springs will not rust or corrode and last up to 4 times longer! 561-509-2000 200 OFF $50 OFF $50 OFF PDS 900 GARAGE DOOR OPENER Expires 4/1/23.
37 Copyrighted© My Living Media. 2023 All Rights reserved. To Advertise call 772-247-6849 Need More Coupons - MyLivingMedia.com
38 VOL. 563 I Copyrighted© My Living Media. 2023 All Rights reserved. To Advertise call 772-247-6849 Need More Coupons - MyLivingMedia.comPUZZLE PAGE SUDOKU PUZZLE PUZZLE PAGE CROSSWORD ACROSS 1 Singer Lovett 5 “Ben-Hur” studio 8 Beanies 12 “Madam Secretary” actress 14 Opposite of “sans” 15 Very hungry 16 Gambling city 17 Coq au -18 Painter Georges 20 Watched surreptitiously 23 Pot covers 24 Any time now 25 Stuffed Italian pasta 28 Boy king 29 Doctrine 30 NYPD alert 32 Gulches 34 Potter’s medium 35 New newts 36 Tint 37 Import duty 40 JFK info 41 Portent 42 Enraptured 47 Theater award 48 Eternally 49 Variety 50 Still, in verse 51 Playwright O’Casey DOWN 1 USPS delivery 2 Pro vote 3 Restroom, for short 4 Football team 5 Earth circler 6 Bearded beast 7 Written messages 8 Tenor Enrico 9 Say it’s so 10 Elizabeth of “Jacob’s Ladder” 11 Highlander 13 Oklahoma city 19 Redact 20 Retired jet 21 Serve coffee 22 Greek vowel 23 Highway divisions 25 Cheap way to live 26 Chorus syllables 27 Apple tablet 29 Squabble 31 “See ya!” 33 Like marble 34 Great divides 36 Commotion 37 Grabbed 38 Both (Pref.) 39 Check 40 Divisible by two 43 St. crosser 44 Weed whacker 45 Notable time 46 Lair Solutions See Page 54
Copyrighted© My Living Media. 2023 All Rights reserved. To Advertise call 772-247-6849 2560 RCA Blvd. Suite 101 PBG • 33410 • www.pbgdentist.com The patient and any other person responsible for payment have the right to refuse to pay, cancel payment, or be reimbursed for any other services, examination, or treatment which is performed as a result of and within 72 hours of responding to the advertisement for the free service, examination, or treatment. Please Mention Code MLM for discounted prices when booking. 561-622-5600 Samuel J. Holcroft D.M.D., P.A. • 0% Financing through Care Credit • PPO Dental Insurance Plans • We Treat Adults & Teens • Nitrous Oxide Gas & Oral Sedation Available • We are a Humana Dental Care Provider • Tooth Colored llings & Bonding • Crowns & Veneers • Implants & Implant Support Bridges • Partials & Dentures • Root Canals • Grinding Guards • Extractions WHY US? CONTACT US NOW WELCOMING NEW PATIENTS! NEW PATIENT SPECIAL $79 With this MLM coupon. Please mention this ad when calling for appointment. Cannot be combined with any other offer. Expires 3/31/23 Including FMX (DO210), EXAM (D0150) & CLEANING (D1110) REGULAR CROWN PRICE $200 off Offer is for a single regular priced crown. New Patients only, and may be used with one other offer. Expires 3/31/23 TOOTH ACHE? $50 EMERGENCY PATIENT SPECIAL Including X-Ray (D0220) and Exam (D0140) With this MLM coupon. Please mention this ad when calling for appointment. Cannot be combined with any other offer. Expires 3/31/23
40 VOL. 563 I Copyrighted© My Living Media. 2023 All Rights reserved. To Advertise call 772-247-6849 Need More Coupons - MyLivingMedia.com • Screen Enclosure Makeover (rescreening & rusted screw replacement with caps for a new look) • Pool, Patio, and Porch Screen Enclosure • Sun Window Rooms and Accordion Shutters • All Types of Aluminum Fencing & Custom Railing • Electric Roll-Down Screens with Remote Control Inventor of the Hurricane Removable Screen Panel Removable Screen Panels Allow Hurricane Winds to Blow Through Screen Builders www.screenbuildersinc.com Licensed and Insured U#22179 Screen Builders & Fencing 561.693.6825 Florida’s Largest Screen Enclosure & Fence Specialists We install 1,500 ft. of fence per week Celebrating 36 Years in SinceBusiness! 1987 Doing business with GL Homes & Minto Homes We Are on Our 109,956 110,025 Job Installed THE WINDOW & DOOR SPECIALIST 772-288-6205 WWW.KAMRELL.COM KAMRELL When You Want It Hung Well... TRUST FAMILY OWNED & OPERATED SINCE 1999 8200 SW LOST RIVER ROAD STUART, FLORIDA 34997 Financing Options Available On Our Website LICENSED & INSURED CGC061180 THE DOOR SYSTEM YOU CAN BELIEVE IN THE DOOR OF BEAUTY AND INOVATION
VOL. 563 I 41 Copyrighted© My Living Media. 2023 All Rights reserved. To Advertise call 772-247-6849 Need More Coupons - MyLivingMedia.com Family Owned & Operated since 1983 24-HOUR SERVICE 4 Generations of Plumbing & Knowledge! TOLL FREE 2647 President Barack Obama Hwy., Riviera Beach, FL 33404 561-625-9414 800-323-0263 www.NorthCountyPlumbing.org • Licensed • Bonded CFC026530 Serving All of Palm Beach County for 39 Years Strong & Still Growing! PLUMBING PROBLEMS? We can handle any plumbing repair, from Big to Small! 10% $1099 $ 425 $ 99 OFF ANY SERVICE CALL Maximum ($100 Discount) With this MLM coupon. Cannot be combined with any other offer. Expires 4/14/23 INSTALLED WATER HEATER SPECIAL Electric Only. 50 - 40 - 30 - Tall or Med. No Hidden Costs Regular Price $1199 - Special Price $1099 - SAVE $100 With this MLM coupon. Cannot be combined with any other offer. Expires 4/14/23 TOILET REBUILD SPECIAL Includes Fill Valve & Flapper. Standard Toilets Only Regular Price $148 - Special Price $99 - SAVE $49 With this MLM coupon. Cannot be combined with any other offer. Expires 4/14/23 In Garage on Floor Only. +TAX NEW TOILET Supply & Install White Round or Elongated Toilet With Seat, Standard Height. Reg. Price $499, Special Price $425 SAVE $75. Additional Charges Will Be Applied for Above 1st Floor Installations. With this MLM coupon. Cannot be combined with any other offer. Expires 4/14/23 …A Beautiful Smile is closer than you think. General, Cosmetic, & Implant Dentistry THE PATIENT AND ANY OTHER PERSON RESPONSIBLE FOR PAYMENT HAS THE RIGHT TO REFUSE TO PAY, CANCEL PAYMENT OR BE REIMBURSED FOR ANY SERVICES, EXAMINATION OR TREATMENT WHICH IS PERFORMED AS A RESULT OF AND WITHIN 72 HOURS OF RESPONSE TO THE ADVERTISEMENT FOR FREE OR DISCOUNTED SERVICES, EXAMINATION OR TREATMENT. 654 W. Indiantown Rd. Suite 105, Jupiter Lic#14440 Angelo Forte, DMD, PA. 561.747.2134 ! NEW PATIENT SPECIAL ZOOM2 WHITENING $89 $125 OFF Prophylaxis Cleaning, Exam, FMX, & Oral Cancer Screening Codes: D0150, D1610, D1674, D1110 Codes: D0003 RESTRICTIONS MAY APPLY. MLM COUPON EXPIRES 4/14/23 MLM COUPON EXPIRES 4/14/23 NOW OFFERING In-House Dental Discount Plan Ask for details
42 VOL. 563 I Copyrighted© My Living Media. 2023 All Rights reserved. To Advertise call 772-247-6849 Need More Coupons - MyLivingMedia.com Located at: 651 W. Indiantown Rd., Jupiter • 561-746-2345 FREE Cleaning 50% Off Any Watch Battery MLM Coupon expires 4/1/23 MLM Coupon expires 4/1/23 MLM Coupon expires 4/1/23 20% Off Any Repair Family-Owned Since 1997 the Original Paving Contractor InstallationWeSpecializeIn&Repair • A+BBB • 10 Year Warranty • Over 50 Years of Experience in Brick Paving 561-257-5775 PAVERS ARTIFICIAL GRASS 312 Center Street • Jupiter, FL 33458 www.TripleMBricks.com • MMMBRICKPAVERS@AOL.COM • Paver Repairs • Interlocking Brick Pavers • Old Chicago Bricks • Travertine • Driveways • Walkways • Patios • Pool Decks • Pool Remodeling - KID & DOG FRIENDLY - NO WATER - NO FERTILIZER - NO MUD - NO ITCHY GRASS - GREEN YEAR ROUND Refresh your Backyard with Arti cial Grass, Outdoor Kitchen, and Pavers With this MLM Coupon. May not be combined with other offers. Expires 4/1/23 ANY INSTALLATION $100 OFF FREE ESTIMATES! Licensed and Insured License#U20229 BRICK PAVERS & ARTIFICIAL GRASS
Need More Coupons - MyLivingMedia.com Available Nights, Weekends & Holidays • Plumbing Repairs • Water Heaters • Toilet Installation • Garbage Disposals • Clearing Sewer Lines • Septic Services • Distribution Boxes • New Installations PLUMBING REPAIRS & WATER HEATER INSTALLATIONS - WE GIVE SENIOR CITIZEN & VETERANS DISCOUNTS! Lic. #CFC1429556 ANY JOB Big or Small We Do Them All! $65 OFF $50 OFF $35 OFF Not valid with other offers or prior services. Must present MLM coupon. Limit one coupon per service call. Not valid with other offers or prior services. Must present MLM coupon. Limit one coupon per service call. Not valid with other offers or prior services. Must present MLM coupon. Limit one coupon per service call. $30 OFF Not valid with other offers or prior services. Must present MLM coupon. Limit one coupon per service call. I I I I $100 OFF Not valid with other offers or prior services. Must present MLM coupon. Limit one coupon per service call. $50 OFF Not valid with other offers or prior services. Must present MLM coupon. Limit one coupon per service call. I $250 OFF Not valid with other offers or prior services. Must present MLM coupon. Limit one coupon per service call. FREE Not valid with other offers or prior services. Must present MLM coupon. Limit one coupon per service call. Not valid with other offers or prior services. Must present MLM coupon. Limit one coupon per service call. Celebrating 40 Years of Excellence Your Next Service Call Any New Hot Water Heater or Tankless Heater Any New Toilet Clearing Any Sink, Toilet, or Main Sewer Line Any New Garbage Disposal Any Septic Pumping Any Distribution Box Replaced $37 OFF BACTERIA TREATMENT with Pumping and Backwashing Any New Drain Field Installed I I I I
44 VOL. 563 I Copyrighted© My Living Media. 2023 All Rights reserved. To Advertise call 772-247-6849 Need More Coupons - MyLivingMedia.com Jupiter Sod & Landscaping 561.768.1337 561.747.7856 FREE ESTIMATES FLORATAM • BAHIA • PALMETTO • BERMUDA Sod Removal & Installation 13049 W. Indiantown Rd. • Jupiter LANDSCAPE DESIGN ROCKS & MULCH PRODUCE HARDSCAPING Over 40 Years of Experience 1st Pallet 10% OFF With this MLM coupon. Expires 4/1/23 Decorator For A Day ( or by the hour) Solve all your Decorating Problems in One Visit! “I PROMISE YOU A GREAT JOB!” CALL FOR NEW CLIENT PROMOTIONS 561-693-0255 A ordable Creative Design & Candice A. Boyle EMAIL: CBCREATES2014@GMAIL.COM Renovate Your Existing Pool Today! Your Pool Heating and Renovation Specialist FREE Estimate! 561-745-1163 HEATING & RENOVATION A COLD POOL IS NO POOL Heat Pumps • Solar • Gas Salt Chlorination Pool & Spa Automation Pool Pumps & Filters Pool Resurfacing Coping • Tile Look No Further for the Experts in Pool Heating • Heat Pumps • Solar • Gas FAMILY OWNED AND OPERATED STATE LICENSES #CP-CO57115 • #CVC 56745 • NAT/LP 26278 FREE SAME-DAY ESTIMATES 5% Off Purchase Price Of Any Salt Chlorinator, Pool/Spa Automation, Pump, or Filter With this MLM Coupon. Expires 4/15/23 HUGE DISCOUNTS! On Factory Direct Heat Pumps tropicalpoolheating.com *See dealer for details
VOL. 563 I 45 Copyrighted© My Living Media. 2023 All Rights reserved. To Advertise call 772-247-6849 Need More Coupons - MyLivingMedia.comHURRICANE IMPACT WINDOWS & DOORS PROTECT WHAT’S PRECIOUS TO YOU! • Hurricane Protection • Home Security • Save on Energy Bills • Save on Insurance Costs • Increase Property Value • Noise Reduction Your Expert in Single Family Homes & Condos! “Our service & products are second to none!” The People’s Choice In Hurricane Protection! 561-336-6511 SAME DAY Appointments! FINANCING Available! We Beat ALL Competitors’ Pricing CALL FOR DETAILS INSTALLATION & NO SALES TAX. EXP 4/1/23 License #CBC1264950 & INSURED Serving Palm Beach, Martin, & St. Lucie Counties 50% Off(Some restrictions apply) (Some restrictions apply) AS LOW AS $120 MO. AS MUCH AS
46 VOL. 563 I Copyrighted© My Living Media. 2023 All Rights reserved. To Advertise call 772-247-6849 Need More Coupons - MyLivingMedia.com • Residential • Commercial • Marine WINDOW TINTING NO AUTOMOBILES off $30 Any order over $100 Exp. 4/14/23 Over 40 Years of Experience www.mrtintofamerica.com BEFORE AFTER WWW.TKGUTTERS.COM 772-692-9727 | 561-250-2184 Authorized Dealer For PRESERVE & PROTECT YOUR HOME, FOUNDATION, & LANDSCAPING FROM WATER DAMAGE • Seamless • Modern Box • Half Round • Commercial • Aluminum • Copper Steel • Installation • Cleaning • Manufacturing • Repair • Maintenance • 5-YEAR WARRANTY FREE ESTIMATES Licensed & Insured License #MCNS4803
VOL. 563 I 47 Copyrighted© My Living Media. 2023 All Rights reserved. To Advertise call 772-247-6849 Need More Coupons - MyLivingMedia.com Florida’s Finest Carpet Cleaning Carpet Cleaned Like You’ve Never Seen Our System Guarantees Your Satisfaction • We use the most advanced truck-mounted carpet cleaning system • Exclusive double-step process for high traf c areas (no extra charge) • Pet stain removal • Environmentally-safe products (safe for children and pets) • Family owned and operated • NO HIDDEN FEES Serving Our Customers Since 1982 Lic# 92275163 Palm Beach County Martin County Only Only Only (561) 747-9793 (772) 220-2290 Carpet Cleaning Special Carpet Cleaning Special Furniture Cleaning Special FREE Demonstration FREE ESTIMATES Two Rooms & Hallway 5 Rooms and Hallway Any Size Sofa or 2 Chairs Grout Special Area Rug Cleaning Free Pick-Up & Delivery $79.95 $79.95 39¢ $139.95 (Maximum 200 sq. ft. per room) FREE DEODORIZER With MLM coupon expires 4/14/23 (Maximum 200 sq. ft. per room, max 5 rooms) FREE DEODORIZER With MLM coupon expires 4/14/23 With MLM coupon expires 4/14/23 With MLM coupon expires 4/14/23 (Minimum 200 sq. ft.) • We’ll make your soiled furniture look beautiful again. • We use the best cleaning methods available for each individual fabric. • Haitian Cotton, sectionals, modulars, and dry cleanonly fabric priced separately. • 3M Scotchguard® and DuPont Te on® protection available. Per Sq. Ft. Fences • Gates • Railings • Wood • Chain Link • PVC • Aluminum ALLIED ALUMINUM & RAILING (Minimum of 100 ft) With this MLM coupon. Expires 4/01/23 $100 Off Keep What You Love Safe! Licensed & Insured License #U-17525 94-7491-FX MC1800195 CALL TODAY FOR YOUR FREE ESTIMATES! 561.232.2757 www.alliedaluminum.us
48 VOL. 563 I Copyrighted© My Living Media. 2023 All Rights reserved. To Advertise call 772-247-6849 Need More Coupons - MyLivingMedia.com VILLAGE BOOTERY SHOE STORES 245 U.S. Highway One • Tequesta 561.746.3536 2641 S.E. Ocean Blvd. • Stuart 772.283.3833 $10 OFF Your next Village Bootery purchase Expires 4/1/23. Discount not available on sales merchandise. G&S PAINTING & FINE FINISHES 877-202-4000 GSFine nishes.com Locally Owned and Operated • Residential & Commercial • Interiors • Exteriors • Laquer • Faux Finish • Epoxy • French Polish • Paints • Stains • Latex • Oil EXPERTS IN HIGH QUALITY FINISHES NO TEAR OUT MESS! 772-400-9404 CALL NOW FOR A FREE ESTIMATE! Experience our beautiful acrylic bath panels, synthetic wood, & countertop overlays 1 Day Kitchen and Bath Transformations BATHROOM TRANSFORMATIONS $6999 Compared to Our Competitors $9999 *FREE Grab Bars. Limit 2 Tub-to-Shower Conversion CABINET REFACING FREE UNDER CABINET LIGHTS $7499 $12,999 New Cabinets 50% WE WILL SAVE YOU UP TO All Products Made in the U.S.A. *Limit of 12 EASY CLEAN, NO MOLD FINISH
VOL. 563 I 49 Copyrighted© My Living Media. 2023 All Rights reserved. To Advertise call 772-247-6849 Need More Coupons - MyLivingMedia.com BUY FACTORY DIRECT & SAVE 15821 Mercantile Court, Ste. #4 • Jupiter 561.935.9548 www.theclosetclinic.com – Established 1979 –Florida’s Oldest Custom Closet Manufacturer the closet clinic ANY PURCHASE $300 OFF custom closet interiors OVER $3,000 Complete Service Including: • Custom Design • Manufacturing • Top-Quality Installation • Closets • Home Of ces • Wall Units • Murphy Beds • Garage Storage Systems FREE Home Estimates MURPHY BEDS GARAGE STORAGE SYSTEMS CUSTOM DESIGNS HOME OFFICES METAL ROOFS just got MORE AFFORDABLE! • METAL ROOFING • TILE ROOFING • SHINGLE ROOFING Financing Available Satisfaction Guaranteed! Call Today (772) 291-1427 Lic. No. CCC1327906 FREE ESTIMATES $500 OFF Call Today! ANY ROOF REPLACEMENT Must present coupon at time of estimate for discount. Exp. 4/15/23 With this MLM Coupon FREE STUMP REMOVAL Get 1 Free Stump Removed w/Purchase of 3 Stump Removals We Beat AnyEstimateWritten Lic & Ins 772-783-9517 I.M.A.Landscaping@gmail.com IMA LANDSCAPING TREE & PALM SERVICES Serving PSL, Martin, Palm Beach • Rock & Stone Install • Palm/Tree Removal • Irrigation install & Services • Stump Grinding • Mulching & Sod Installed • Tree Trimming • Pressure Washing • Brazilian Pepper Tree Cut Back & Removal • Installation/Design • Lawn Maintenance • Clean Ups/Hauling • Weeding & Much More • H.O.A. Complaint Letters • H.O.A Approved • Hazardous trees that are too close to the roof TREE & PALM TRIMMING WE SPECIALIZE IN TREE REMOVAL
50 VOL. 563 I Copyrighted© My Living Media. 2023 All Rights reserved. To Advertise call 772-247-6849 Need More Coupons - MyLivingMedia.com Licensed & Insured Credit Cards Accepted 772-361-3556 Se habla Español Custom Cabinets & Refacing • Complete Remodeling • Cleaning • Drywall Repair • Popcorn Removal • Electrical Service • Painting • Tile, Vinyl, & Laminate & Much More! CABINET REFACING Minimum $2,000 Job With this MLM coupon. May not be combined with any other offer. Exp. 4/15/23 OFF With this MLM coupon. May not be combined with any other offer. Exp. 4/15/23 HOME REPAIR 15% 15% OFF Minimum $500 Job ONE WAY QUALITY Home Improvement No Job Too BIG or Small! 15% off May not be combined with other offers. Any Project Up to 52 ft. Installed 21 Colors $249 Hurricane Damage GUARANTEE up to a Category 3 any Falling Gutter or Downspout Replaced at NO CHARGE Only 6” & 7” Seamless Gutters FREE • Splash Blocks • Corners • Valley Shields BUDGET GUTTERS Seamless STOP PAYING TOO MUCH FOR SEAMLESS GUTTERS NO SEAMS NO LEAKS 561-667-4571 WWW.BUDGETGUTTERS.COM License # MC1800110 Insured & Workers Compensation Don’t be fooled by other ads. We guarantee the lowest price or the job is FREE! TREE SERVICE Second Generation Tree Company FREE ESTIMATES Daniel Valencia Family Owned & Operated 561-771-0464 www.dvtreeservice.com Licensed & Insured Residential & Commercial • Tree Service • Tree Removal • Stump Grinding • Stump Removal • Arti cial Turf • Palm Care • Palm Removal • Yard Restoration & Clean Up 5% OFF Mention MLM Ad PROVEN, EFFECTIVE, & AFFORDABLE PROTECTION MOSQUITO CONTROL 561-567-8929 25% FIRST MONTH Expires 4/1/23 OFF 561-782-3078 travelbysolstice.com/kylaLicensed & Insured Specializing in Travel Experiences in Luxury Destinations Luxury Travel Agent • Luxury Trips • Group Trips • Business Trips • River Cruises • Destination Weddings
VOL. 563 I 51 Copyrighted© My Living Media. 2023 All Rights reserved. To Advertise call 772-247-6849 YOUR TRUSTED ROOFERS $500 ANY NEW ROOF $10,000 & Up Must present this MLM coupon. Expires 3/31/23 off $150 ROOF REPAIR Must present this MLM coupon. Expires 3/31/23 off Roof Repair • Roof Replacement Insurance Restoration LICENSED & INSURED • #CCC133746 5 Stars Google FREE In-home Estimate 772-222-6760 819 SW Federal Hwy. Ste #201 • Stuart www.levelbestroofing.com
52 VOL. 563 I Copyrighted© My Living Media. 2023 All Rights reserved. To Advertise call 772-247-6849 Need More Coupons - MyLivingMedia.com HELPING YOUR BUSINESS BECOME MORE EFFICIENT WHILE SAVING MONEY! 561-419-9530 CARRIER ASSESSMENT Complimentary (Valued at $350) With this MLM Coupon • CARRIER SERVICES • VoIP SERVICES • VIDEO CONFERENCING • NETWORKING & WIFI Treasure Coast 772-210-3530 Palm Beach Your Comfort Is Our Top Priority! 561-933-4744 15%OFF • Friendly Companions • Perfect Homemakers • Caring Hospital Sitters • Certi ed Nursing Assistants • Most Insurances Accepted ANY SERVICE With this MLM coupon. Exp. 4/14/23 M IKE ’ S A LUMINUM S PECIALTIES $500 OFF ENTIRE HOME No Sales Tax on Florida Impact-Resistant Windows & Doors FREE ESTIMATES! FINANCING OPTIONS AVAILABLE! · Palm Beach · Martin · St. Lucie · Okeechobee www.MikesAluminumSpecialties.com • mikesaluminum@gmail.com SERVICE AREAS Palm Beach County License # U17386, U20484 • Martin County License # MC1800053, MC1800054 St Lucie County License # 31324, 31325 • City of Port St Lucie License # 15324, 15325 Okeechobee License # 3293, 3294, 3295 WE ARE A FAMILY OWNED AND OPERATED BUSINESS! ESTABLISHED 1994 MONDAY – FRIDAY 8AM – 5PM 561-848-7188 OR 863-532-5315 With MLM Coupon Exp. 3/31/23 • WINDOWS • DOORS • BLINDS • SHADES • SHUTTERS • HURRICANE PROTECTION • PATIO / SCREEN ENCLOSURES • GLASS / ACRYLIC SUNROOMS • CUSTOM ALUMINUM STRUCTURES Contractors Welcome FREE Local Delivery NEED NEW WINDOWS & DOORS? C all MIKE for Professional Installation at a Fair Price! PGT • CGI • EAS ES Windows WinDoor
Lic# CAC1819096 Bill shAC.com SCAN HERE Neutralize odors, particulate, air pollutants, smoke, mold bacteria and viruses. FREE Customizable Auto delivery FREE SERVICE CALL WITH REPAIR ($85 Value) Must be during regular hours. Must mention at time of order. With this MLM coupon. Cannot be combined with other offers or specials. Expires 3/30/23 With this MLM coupon. Cannot be combined with other offers or specials. Expires 3/30/23 FREE DUCT EVALUATION! AIR FILTER SUBSCRIPTION USING THERMAL IMAGING REME HALO AIR PURIFIER With this MLM coupon. Cannot be combined with other offers or specials. Expires 3/30/23 With this MLM coupon. Cannot be combined with other offers or specials. Expires 3/30/23 OFF $150 10% OFF Air Conditioning Air Conditioning MAINTENANCE PROGRAM Includes 2 Visits Precision Tune-Up Clean and chemically treat drain line Check refrigerant level Check for air ow Check for air leak on plenum duct system Check fan motors Check all electrical connections for loose or burned wire, tighten all caps Check relays and contactors Replace screws if missing Check evaporator coil & wash condenser coil Coil sanitation for bad odors and bacteria, when accessible Check heating element, run heat cycle, system analysis Calibrate thermostat for maximum accuracy Check for microbial growth on coil ✔ ✔ ✔ ✔ ✔ ✔ ✔ ✔ ✔ ✔ ✔ ✔ FINANCING AVAILABLE! REG. $189 Expires 3/30/23 $19 $189 OR PER MONTH ANNUALLY Call for pricing on multiple systems 772.276.7537 Sign up online! Bill shAC.com ✔ ✔ WITH ✔ Program Perks Priority Scheduling 10% off Repairs No Overtime Charges ✔ ✔
54 VOL. 563 I Copyrighted© My Living Media. 2023 All Rights reserved. To Advertise call 772-247-6849 Need More Coupons - MyLivingMedia.com S U D O K U Solution CROSSWORD SOLUTION SOLUTION TIME: 25 MINS. PUZZLE SOLUTIONS PUZZLE SOLUTIONS 772-224-7347 FREE ESTIMATES 10% OFF With this MLM Coupon at time of estimate. Expires 4/15/23 NOW ACCEPTING ALL CREDIT CARDS Ramos TREE SERVICE ✔ Tree Removal ✔ Tree Trimming ✔ Tree Topping ✔ Hedge Trimming and More! YOUR LOCAL TREE TRIMMING EXPERTS! INSURED LICENSED Best Rates In Town! QUALITY SERVICE YOU CAN TRUST BEFORE AFTER LOST 60 POUNDS! Without Surgery LOST 95 POUNDS! Without Surgery BEFORE AFTER GOALS WEIGHT LOSS Lose Weight QUICK! FREE $100 OFF CONSULTATION All Weight Loss Programs Plus Must present this MLM coupon for discount. Expires 4/15/23 BEFORE AFTER LOST 40 POUNDS! Without Surgery – PHENTERMINE AVAILABLE – GUARANTEED RESULTS 561-283-1011 401 Maplewood Dr., #2, Jupiter (Maplewood Center behind Home Depot) www.GoalsWeightLoss.net • Eat Real Food • No Exercising Required! • Private Counseling • Medically Supervised • NO Hormone Supplements • Individual Plans
VOL. 563 I 55 Copyrighted© My Living Media. 2023 All Rights reserved. To Advertise call 772-247-6849 Need More Coupons - MyLivingMedia.com NEED SHUTTERS THIS WEEK? Family Owned & Locally-Manufactured Plantation Shutters • ANGLES & RAKES • ARCHES & SUNBURSTS • OTAGON, CIRCLE, HEXAGON • SILL COVERS & CAPS HORIZONTAL ARCH PLANTATION SHUTTERS SUNBURST PLANTATION SHUTTERS www.plantationshutters a.com Treasure Coast Palm Beach 772-600-4253 or 561-420-0418 Visit our manufacturing shop at: 406 Farmers Market Rd Ft Pierce, FL 34982 IN-HOME ESTIMATES FREE $1695 SQ. FT. INSTALLED Starting at Plantation Shutters Florida™ Your Plantation Shutter Specialist Plantation Shutters Florida™ We are the Real Manufacturer Licensed & Insured CALL TODAY AND GET UP TO 10% DISCOUNT Restrictions may apply. $500 OFF $75 OFF FREE Any New Roof $8000 & Up Any Roof Repair $750 & Up Estimates On Roofs & Repairs Expires 4/17/23 Expires 4/17/23 Expires 4/17/23 561-566-5601 www.myroofsystem.com WHERE QUALITY & SERVICE MAKES THE DIFFERENCE CALL FOR A FREE ROOF EVALUATION TODAY! From… PROTECT YOUR PROPERTY WITH EXPERT ROOFING • ROOF REPAIR • ROOF REPLACEMENT • ROOF LEAK DETECTION • NEW CONSTRUCTION
56 VOL. 563 I Copyrighted© My Living Media. 2023 All Rights reserved. To Advertise call 772-247-6849 Need More Coupons - MyLivingMedia.com Veteran Owned • Licensed & Insured • COUNTERTOPS • CABINETS • KITCHENS • BATHROOMS • PANTRIES • CLOSETS • BUILT-INS • REFACING www.werackdesigns.com Full Service Home Improvements & Design 772.256.3304 SAVE $500 With Any Remodel of $5,000 or more. With this MLM coupon only. Expires 4/14/23 FREE Design & 3d Rendering of your project SCAN HERE WE RACK DESIGNS • PROPANE DELIVERY • STANDBY GENERATORS • TANK SETS • CARDLOCK • CYLINDER FILLS • DOCKSIDE FUELS • MAINTENANCE CONTRACTS • TANK & GENERATOR MONITORING • AND MANY MORE PROGRAMS TO CHOOSE FROM WEST PALM BEACH 1 2 VERO BEACH STUART PROUDLY SERVING THE PALM BEACH & TREASURE COAST SINCE 1967 772.617.8648 MAKE COMO OIL & PROPANE YOUR HURRICANE HEADQUARTERS SECURE YOUR ASSETS WITH $500 OFF New Generator Purchase Call to nd out about our other Promotions
VOL. 563 I 57 Copyrighted© My Living Media. 2023 All Rights reserved. To Advertise call 772-247-6849 Need More Coupons - MyLivingMedia.com CALL TODAY FOR A free estimate! DRIVEWAYS • WALKWAYS • PATIOS • POOL DECKS • RETAINING WALLS CUSTOM POOL REMODELS • NEW POOL CONSTRUCTION • CLEAN & SEAL PAVERS • REPAIRS MARTIN 772-419-5151 PALM BEACH 561-844-9370 apexpaversandpools.com LICENSED & INSURED: CPB #4701 • U-20589 • U-20796 • RP #4701 *WITH APPROVED CREDIT. OFFERS CANNOT BE COMBINED. Apex Pavers & Pools, Inc. 725 SE Monterey Rd., Stuart, FL 34994 COME VISIT OUR SHOWROOM! POOLS TRANSFORMING THE ORDINARY TO Extraordinary FINANCING AVAILABLE CONTACT US TODAY TO LEARN MORE* CALL TODAY FOR A free estimate! DRIVEWAYS • WALKWAYS • PATIOS • POOL DECKS • RETAINING WALLS CUSTOM POOL REMODELS • NEW POOL CONSTRUCTION • CLEAN & SEAL PAVERS • REPAIRS MARTIN 772 - 419-5151 PALM BEACH 561-844-9370 apexpaversandpools.com LICENSED & INSURED: CPB #4701 • U-20589 • U-20796 • RP-252555006 *WITH APPROVED CREDIT. OFFERS CANNOT BE COMBINED. Apex Pavers & Pools, Inc. 725 SE Monterey Road, Stuart, FL 34994 POOLS TRANSFORMING THE ORDINARY TO Extraordinary 12 MONTHS SAME AS CASH NO INTEREST, NO PAYMENTS FOR 12 MONTHS* COME VISIT OUR NEW SHOWROOM! DRIVEWAYS • WALKWAYS • PATIOS • POOL DECKS • RETAINING WALLS CUSTOM POOL REMODELS • NEW POOL CONSTRUCTION • CLEAN & SEAL PAVERS • REPAIRS LICENSED & INSURED: CPB #4701 • U-20796 • RP-252555006 • CPC 1458696 Visit Our Showroom
58 VOL. 563 I Copyrighted© My Living Media. 2023 All Rights reserved. To Advertise call 772-247-6849 Need More Coupons - MyLivingMedia.com WHOLESALE FENCING INSTALLATIONS & REPAIRS HOME OF THE LOWEST PRICE GUARANTEE Honest, Trustworthy, Hassle-Free Service From A Family-Owned Business FREE GATE WITH PURCHASE OF EVERY 150 FT. OF FENCING. UP TO A $450 VALUE FENCING SOUTH FLORIDA 561-612-2018 With this MLM coupon. Not valid with any other offer or prior purchases. Offer expires 4/14/23 PVC/VINYL FENCING CHAIN LINK FENCING “We guarantee to beat any price you have from any legitimate fence company” Licensed &Insured Broward 11-F-17403-X Palm Beach U-21752 WWW.FENCINGSOUTHFLORIDA.COM OFFICE 561-612-2018 SERVING BROWARD & PALM BEACH FREE REMOVAL OF EXISTING FENCE WITH PURCHASE OF NEW FENCING NO MINIMUM REQUIRED (excludes hurricane damaged fencing) FENCING SOUTH FLORIDA 561-612-2018 With this MLM coupon. Not valid with any other offer or prior purchases. Offer expires 4/14/23 Visit our website to see our episode on Designing Spaces NOW INTRODUCING OUR NEW ART DIVISION Custom Metal Works in Any Shape and Style added to your fence, gates, entry door, and interior or exterior house walls WOOD FENCING ALUMINUM FENCING WE DO IT RIGHT THE FIRST TIME FOR LESS. KITCHEN & BATHROOM REMODELS facebook.com/mavitstone mavitstone $500 Off *With $5000 or more. Must be presented at time of appointment With this MLM coupon. EXPIRES 4/14/23 WE BEAT ANY WRITTEN OFFER! MAVIT STONE SERVICES LLC 772-209-3888 1622 SW Biltmore St. • PSL MAVITSTONE.COM Financing Available! Cabinets, Countertops, Flooring, & More!
HURRICANE IMPACT WINDOW SALE OF THE TREASURE COAST Visit Our Showroom Location - 2820 SE Monroe St., Stuart LIC#CGC009090 EcoViewWindows.com/Treasure-Coast 772-758-8640 HIGHEST QUALITY AT THE LOWEST PRICE GUARANTEED! LEAD TIME 4-6 Weeks ∙ NO PRODUCTS ∙ U FACTOR 0.29 ∙ MISSILE-IMPACT RATING D $760 FREE INSTALLATION Starting as low as Call Today For A FREE Estimate UNDER 101 UI (Some restrictions apply)

Make a Great First Impression with New Entry Doors!

Steven Gross, co-owner of First Impression Doors & More, Inc., saw an opportunity to help South Floridians protect their homes from impending hurricanes without compromising on quality or customer service. Prior to joining First Impression Doors & More, Inc., Steven had a di cult experience with another door company when he replaced his own entry doors. As a result, he wanted to make the process easier and o er the highest quality products for homeowners.

Steven has an extensive background in sales and marketing, and his business partner/co-owner Randy Dobkins has years of experience in fabrication and custom millwork. Together, Steven and Randy knew that they could create a business that would work exclusively with quality, respected brands while also providing impeccable customer service. And they were right, they could... First Impression Doors & More, Inc. has a 4.8/5 star rating on Google and a 5 star rating on Facebook! e testimonials don’t lie-- clients love working with the experts at First Impression Doors & More, Inc. and rave about everything from the company’s e ciency and a ordability to the sta ’s knowledge and friendliness.

As Palm Beach County’s largest specialty door store, First Impression Doors & More, Inc. has a plethora of options to satisfy any style and t any budget:

• Impact Resistant Fiberglass & Mahogany Entrance Doors

• Impact Resistant Decorative Glass Inserts

• Impact Resistant French & Sliding Glass Doors

• Interior Doors

• Baseboard & Crown Moulding

• Specialty Lumber

• And More!

Need More Coupons - MyLivingMedia.com
License #CBC037800

Additionally, First Impression Doors & More, Inc. is NAMI (National Accreditation & Management Institute, Inc.) certi ed and able to create custom-sized, impact resistant doors for your home!

e bene ts of upgrading your home with impact resistant products are endless, but the main advantages are heightened protection/security and higher property values. Impact resistant products are your strongest defense against a hurricane’s highforce winds, and can be one of the key determinants for whether your home will survive a storm. Further, impact resistant glass is virtually impossible to breach, meaning that you, your family, your home, and your possessions are safe from any unsavory characters.

From start to nish, First Impression Doors & More, Inc. will handle your home renovations with the utmost professionalism. Even if you’re more of a do-it-yourself person, then First Impression Doors & More, Inc. can still provide you with rst-rate products from distinguished and respected manufacturers.

Let First Impression Doors & More, Inc. open new doors for you with the best products and customer-focused service! If you’re undecided, then go to the First Impression Doors & More, Inc. website and read the endless list of glowing testimonials from real clients. You’ll be amazed at how many of their customers have taken the time to commend them! en you’ll work with the company yourself and understand why. Before you know it, you’ll be writing your own raving review as you sit in the comfort and security of your upgraded home with beautiful new impact doors.

Transform your home by installing new custom interior doors without the mess and hassle of major construction. Choose from a wide variety of contemporary, traditional door styles.

• New Solid Core Doors

• New Door Hardware

• New Hinges

LICENSE # CBC037800

FINANCING AVAILABLE

Impact Resistant Fiberglass & Mahogany Entry Doors • Impact Resistant Decorative Glass Inserts Interior Doors • Impact Resistant French & Sliding Glass Doors Call today 561.464.6102 to schedule your FREE SHOWROOM appointment or schedule online Floridadoors.com

BOCA RATON | 9858 Clint Moore Rd., Suite C-128 • Boca Raton, FL 33496

Tuesday - Friday • 9am - 5pm Saturday • 9am - 4pm

WEST PALM BEACH | 346 Pike Road, Suite 6, West Palm Beach, FL 33411

Monday - Friday • 7am - 4:30pm Saturday • 9am - 2pm

JUPITER | 75 E. Indiantown Road, Suite 507, Jupiter, FL 33477

Tuesday - Friday • 9am - 5pm Saturday • 9am - 4pm

- MyLivingMedia.com
Need More Coupons
62 VOL. 563 I Copyrighted© My Living Media. 2023 All Rights reserved. To Advertise call 772-247-6849 *Additional charges may apply for heavily soiled areas Serving the Treasure Coast from Vero to Palm Beach 772-919-7163 • 561-250-0088 WWW.CarpetCleanerInFlorida.com 3 ROOMS $68 2 ROOMS $42 5 ROOMS $99 TILE & GROUT CLEANING 39¢ SQ. FT. 100 SQ. FT. MINIMUM FURNITURE CLEANING $60 SOFA OR LOVE SEAT OR 2 CHAIRS AREA RUGS $40 AND UP PREVENTS FIRES DRYER VENT CLEANING FREE DEODORIZER, SANITIZER, & DISINFECTANT $85FROM & SPEEDS DRYING TIME OFFER #MS3-2 CARPET CLEANING Licensed Ask about ...dries in half the time!
Call us today (772) 247-6067 or 561-293-4909
Residential Customer PRSRT STD ECRWSS US POSTAGE PAID PERMIT #145 STUART, FL 2081 SE Ocean Blvd. • Suite 4 Stuart, Florida 34996 • 772-334-2121 772-362-1444 www.moceantherapycharters.com 40%OFF FULL DAY CHARTER SPORTFISHING Deep Sea Fishing • Fishing Trips • Custom Cruises • Sight Seeing • Events • Celebrations • And Much More • 34’ Console • 60’ Sport Fish MOCEAN THERAPY CHARTERS Limited time o er. Call for details Captain Je 30 YEAR IN EXPERIENCE BITING! Where the Fish Are Always…

Turn static files into dynamic content formats.

Create a flipbook
Issuu converts static files into: digital portfolios, online yearbooks, online catalogs, digital photo albums and more. Sign up and create your flipbook.
I7-Lost Tree Living-Vol.563 by My Living Magazines - Issuu